Guide
des formations et services
Développer l’excellence en implantologie


Développer l’excellence en implantologie
Un partenariat basé sur le professionnalisme, la confiance et l’excellence depuis 1990.
Chez Implant Québec, nous croyons que l’excellence en implantologie repose sur une attention rigoureuse portée à chaque détail du processus chirurgical et prothétique. En collaborant étroitement avec vous, dentistes référents, nous assurons une maîtrise complète de chaque étape du traitement implantaire. Cette approche concertée permet d’offrir à vos patients des interventions sécuritaires, confortables et des résultats durables à la hauteur de leurs attentes.
Notre équipe se distingue par son expertise chirurgicale de pointe, soutenue par des installations ultramodernes, des protocoles rigoureux, une flexibilité opérationnelle et une approche humaine à chaque étape du parcours.
Nous sommes pleinement conscients que les traitements implantaires peuvent susciter des inquiétudes, tant sur le plan émotionnel que financier. C’est pourquoi notre approche humaine, rassurante et réconfortante est grandement appréciée de tous et a fait notre renommée. De plus, nos options de financement nous permettent de nous adapter à la réalité de chaque patient, afin de rendre nos soins accessibles, sans compromis sur la qualité.
Au Centre, nous ne demandons pas aux patients de s’adapter à nos traitements : ce sont nos solutions qui s’ajustent à leurs besoins, à leurs attentes et à leurs capacités. En collaborant avec nous, vous pouvez avoir la certitude que vos patients seront accueillis avec respect, écoutés avec empathie et pris en charge avec le plus haut niveau de professionnalisme.
Le fondateur, Dr Jacques Bernier
Un héritage d’expertise
Le fondateur d’Implant Québec, le Dr Jacques Bernier, a joué un rôle de premier plan dans le développement de l’implantologie dentaire, tant au Québec qu’à l’international. Conférencier et formateur reconnu, il a partagé son savoir-faire avec de nombreux professionnels de la santé dentaire au fil des années.
Au terme de près de trente ans de pratique, le Dr Bernier a pris sa retraite en décembre 2014, en laissant derrière lui un héritage d’excellence clinique et d’engagement envers l’avancement de la profession.
NOTRE MISSION
Depuis 1990, Implant Québec s’est donné pour mission d’offrir des soins dentaires hautement perfectionnés en implantologie dans la région de Québec. Dès ses débuts, la clinique a misé sur un service attentionné et un accompagnement soutenu, tant auprès des patients qu’auprès de ses précieux dentistes référents.
Grâce à une expertise clinique reconnue et à une rigueur scientifique constante, nous avons su nous positionner comme chef de file en implantologie au Québec et au Canada. Cette expérience nous a permis d’améliorer significativement la santé buccodentaire de nos patients, tout en soutenant nos collaborateurs dans l’acquisition de compétences avancées, afin qu’ils puissent offrir des soins qui surpassent les standards de qualité.
Notre engagement : rendre les traitements implantaires accessibles, personnalisés et réalisés dans des délais optimisés. Dans cette même perspective, nous avons à cœur de soutenir, de former et de bâtir des liens de confiance solides et durables avec nos patients et nos partenaires professionnels.
+ de 400 collaborateurs et dentistes référents + de 1200
patients traités chaque année
+ de 37 000
implants placés avec succès
NOTRE VISION
Être reconnu comme un centre de référence en implantologie, offrant un environnement sécuritaire et des soins entièrement personnalisés.
Établir et maintenir une relation de confiance et de respect avec nos référents, dans le but commun d’offrir à la population un service de la plus haute qualité.
Partager notre savoir, notre expérience et notre passion avec les professionnels de la santé dentaire, dans une perspective de développement et d’enrichissement mutuel.
À LA TÊTE D’IMPLANT QUÉBEC
Nos professionnels sont animés par la même vision : offrir des soins implantaires de haute qualité, dans un environnement humain et structuré.
Les Drs Delisle, Thériault et Gauthier cumulent un savoir-faire chirurgical reconnu, un sens aigu de la transmission du savoir, et une implication directe dans la gestion du Centre.
Leur leadership se traduit par un engagement quotidien auprès de leurs patients, de leurs pairs et de toute l’équipe, afin de maintenir les plus hauts standards de la pratique.
Dre Anne Delisle, dentiste généraliste
Diplômée de l’Université Laval en 1998, Dre Delisle oeuvre au sein d’Implant Québec depuis 2010, où elle se consacre exclusivement à l’implantologie. À la suite d’une étroite collaboration pendant plus de 5 ans avec le Dr Jacques Bernier, elle incarne aujourd’hui la relève de la clinique. Formée à l’Université de New York (Maxi Course) et au Kois Institute, elle est Fellow de l’ICOI, Associate Fellow de l’AAID et membre active de plusieurs sociétés internationales, dont le PEERS North America (depuis 2014), l’International Faculty Forum (depuis 2018) et l’European Association for Osseointegration (EAO). Reconnue pour son expertise, elle est régulièrement invitée à titre de conférencière sur la scène internationale.
Dr Marc Thériault, dentiste généraliste
Diplômé de l’Université Laval en 2002, Dr Thériault a amorcé sa pratique en restauration sur implants dès ses débuts, avant de se consacrer à la pose d’implants en 2009. Il a bénéficié du mentorat du Dr Jacques Bernier en 2008-2009, une expérience formatrice qui a marqué son parcours. Diplômé de l’Institut canadien d’implantologie, il a rejoint l’équipe d’Implant Québec en 2015 pour se consacrer exclusivement à l’implantologie. Il est membre de l’Academy of Osseointegration (AO), de l’European Association for Osseointegration (EAO) et fait partie du groupe PEERS North America depuis 2018.
Dr Simon Gauthier, dentiste généraliste
Diplômé de l’Université Laval en 2001, Dr Gauthier amorce sa pratique en restauration sur implants, puis se forme en chirurgie à l’Institut canadien d’implantologie en 2009. Il complète ensuite des formations avancées, notamment au CEDAM (2015) et au gIDE Institute/Université Loma Linda (2018), où il reçoit le prix Master Clinician of North America. Il est membre de l’Academy of Osseointegration (AO) et de l’European Association for Osseointegration (EAO). Il rejoint l’équipe d’Implant Québec en 2023 pour se consacrer exclusivement à l’implantologie.
Chez Implant Québec, chaque patient devient le centre d’attention d’une équipe dévouée à son bien-être.
Forte de son expertise en chirurgie implantaire, de ses nombreuses années d’expérience et de formations continues, notre équipe s’engage à offrir une prise en charge humaine, rassurante et rigoureuse.
Les Drs Delisle, Thériault et Gauthier sont entourés de professionnels qualifiés, attentifs aux besoins des patients avant, pendant et après le traitement.
Nos valeurs humaines sont au cœur de notre pratique. Nos patients reconnaissent et apprécient autant notre savoir-être que notre savoir-faire.
Vos patients peuvent compter sur :
Une équipe passionnée et à l’affût des plus récentes avancées ;
Une écoute attentive, un accompagnement personnalisé ;
Un engagement constant envers le bien-être des patients.
Chez Implant Québec, notre approche pédagogique repose sur une conviction claire : la maîtrise du volet prothétique est indispensable avant d’aborder le volet chirurgical en implantologie.
Les Drs Delisle, Thériault et Gauthier, tous issus d’une pratique généraliste de plus de 10 ans, partagent une vision globale de la santé dentaire. Cette expertise globale leur permet de bien comprendre les défis concrets rencontrés en clinique, notamment en ce qui concerne la planification, la communication et la réalisation de restaurations implantaires. Forts d’un solide bagage en réhabilitation prothétique, ils portent également une attention particulière à l’esthétique, afin d’offrir des résultats fonctionnels, harmonieux et durables.
Notre objectif est simple : accompagner les dentistes dans l’acquisition des bases prothétiques solides, pour leur permettre d’aborder la prosthodontie implantaire avec confiance, précision et efficacité. Grâce à une approche structurée, ancrée dans la réalité de la pratique privée, nos modules visent à faciliter l’intégration de l’implantologie dans votre quotidien professionnel.
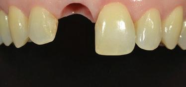
Cette formation de deux jours a pour objectif de vous permettre de diagnostiquer, planifier et réaliser des restaurations implantaires, tant unitaires qu’en édentation partielle fixe impliquant deux implants ou plus. Le contenu aborde les fondements essentiels de la restauration sur implant, ainsi que des notions plus avancées en implantologie prothétique.
Vous verrez l’ensemble des étapes cliniques — de la planification au suivi post-insertion — dans le but d’obtenir des restaurations fonctionnelles, esthétiques et durables. Vous aurez également l’opportunité d’observer des cas cliniques en direct, tant chirurgicaux que prothétiques, réalisés sur des patients, depuis la salle de cours ou la salle de traitement grâce à une retransmission vidéo en temps réel.
Fondamentaux et planification :
Choix du système d’implant
Évaluation prétraitement
Planification en édentation unitaire et partielle
Phase préparatoire (protocole d’extraction et préservation alvéolaire)
Montage diagnostique (évaluation esthétique, prothétique et chirurgicale)
Survol des étapes chirurgicales
Pour voir le contenu détaillé et les modalités d’inscription.
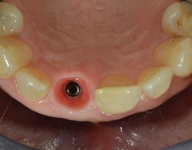
Empreintes et piliers :
Simplification du protocole d’empreinte (ouverte ou fermée)
Facteurs influençant la précision des empreintes
Protocole d’empreinte conventionnel et numérique
Indications et utilisation des piliers personnalisés (ex. : Atlantis) et piliers intermédiaires (ex. : Multi-Base)
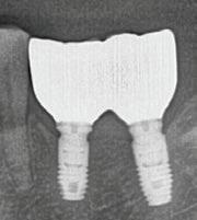
Restauration et matériaux :
Indications des restaurations vissées, cimentées, hybrides et correction d’axe
Choix des matériaux
Temporisation en région antérieure
Gestion du complexe mucco-gingival et pontique ovoïde
Modification du profil d’émergence pour un contour gingival optimal
Savoir où et comment utiliser la porcelaine rose
Concepts avancés :
Biomécanique, jumelage, passivité des armatures et concept de la gigue
Occlusion
Profil d’émergence des restaurations
Étapes de mise en bouche de la restauration
Suivi et maintenance :
Hygiène
Suivis et gestion des complications post-insertion
La révision des composantes et pièces prothétiques
L’indexation de la gigue
La prise d’empreinte unitaire et partielle sur modèle
L’indexation du profil d’émergence d’un provisoire
ACCOMPAGNEMENT PERSONNALISÉ
Dans le but de favoriser une intégration concrète des apprentissages en clinique, chaque participant bénéficie d ’une heure de mentorat individuel Cette séance personnalisée, effectuée avec l’un de leurs patients, permet d’optimiser l’application des notions vues en formation, avec le soutien direct d’un formateur.
Consultez la section Mentorat pour tous les détails.
Si le traitement nécessite un accompagnement plus long, des heures supplémentaires de mentorat sont disponibles sous formule de taux horaire, incluant la remise d’une attestation de formation continue selon la durée totale du mentorat complété.
Ce module a pour objectif de vous permettre de diagnostiquer, planifier et réaliser des restaurations complètes fixes et amovibles sur implants, que ce soit sur barre ou à l’aide d’attaches individuelles. Il s’adresse aux professionnels souhaitant approfondir leur compréhension des options de traitement en édentation complète, partielle ou en dentition terminale.
Vous apprendrez à distinguer les différents profils cliniques, à reconnaître les indications et limites des diverses restaurations (mandibule et maxillaire), et à orienter vos patients vers des solutions adaptées à leurs besoins et attentes.
Tout au long de la formation, vous profiterez de l’expertise développée au Centre à travers plus de 3 500 cas d’édentation complète traités et aurez l’occasion d’observer en direct les étapes chirurgicales et prothétiques, que ce soit en salle ou via une retransmission depuis la salle de cours.
Pour voir le contenu détaillé et les modalités d’inscription.
Planification et diagnostic :
Planification des restaurations complètes fixes et amovibles sur barre
Planification des restaurations complètes et partielles amovibles sur attaches individuelles
Distinction entre édentation complète, dentition terminale et édentation partielle
Sélection des cas pour la temporisation fixe immédiate
Indications et types de greffes osseuses
Principes biomécaniques :
Nombre et position des implants selon le type de restauration (fixe/amovible, barre/attaches)
Considérations biomécaniques en édentation complète
Étapes chirurgicales :
Survol des étapes chirurgicales liées aux différents types de restaurations
Fabrication d’une prothèse complète amovible immédiate
Prothèses :
Étapes prothétiques des restaurations fixes métal-acrylique
Étapes prothétiques des restaurations fixes en porcelaine
Prothèses amovibles sur barre
Prothèses complètes sur attaches individuelles
Prothèses partielles amovibles sur attaches (ex. : LOCATOR / NOVALOC)
Choix des composantes :
Sélection et utilisation des piliers (UNI, Atlantis, boule, LOCATOR, NOVALOC…)
Choix du système d’attaches selon le cas
Choix des dents prothétiques
Passivité des armatures et utilisation de la gigue d’indexation
Indication et choix des types d’armatures et de barres
Fonction, suivi et gestion :
Révision des concepts de prothèse complète et partielle
Occlusion en prothèse complète sur implants
Hygiène, suivi post-traitement et gestion des complications
ATELIER PRATIQUE
Manipuler les différentes composantes prothétiques
Réaliser une indexation de la gigue
Effectuer une prise d’empreinte avec porte-empreinte individuel (PEI)
ACCOMPAGNEMENT PERSONNALISÉ
Dans le but de favoriser une intégration concrète des apprentissages en clinique, chaque participant bénéficie d’ une heure de mentorat individuel . Cette séance personnalisée, effectuée avec l’un de leurs patients, permet d’optimiser l’application des notions vues en formation, avec le soutien direct d’un formateur.
Consultez la section Mentorat pour tous les détails.
Si le traitement nécessite un accompagnement plus long, des heures additionnelles de mentorat sont disponibles sous formule de taux horaire, incluant la remise d’une attestation de formation continue selon la durée totale du mentorat complété.
L’émergence des scanneurs intra-oraux a transformé la pratique dentaire moderne, en ouvrant la voie à des approches numériques simples, précises et accessibles. L’implantologie bénéficie pleinement de ces avancées, permettant une planification plus rigoureuse et une exécution prothétique optimisée.
Ce module vous propose de structurer et d’intégrer l’implantologie dans un flux numérique complet, de la planification jusqu’à la restauration finale, en toute confiance et autonomie.
Comprendre les indications et les limites des scanneurs intra-oraux en implantologie
Faire une planification implantaire numérique et la communiquer au chirurgien
Se familiariser avec les différents systèmes d’empreintes numériques sur implant
Explorer les options de restaurations
CAD/CAM sur implant
Maîtriser la prise d’empreinte numérique unitaire sur implant
Transmettre une prescription numérique complète au laboratoire
Commander un pilier personnalisé (ex. : Atlantis) et fabriquer la couronne en cabinet
Pour voir le contenu détaillé et les modalités d’inscription.
La gestion de l’alvéole post-extraction constitue un défi fréquent en pratique clinique. Lorsqu’un traitement implantaire est envisagé, le contrôle de la résorption osseuse verticale et horizontale devient essentiel afin de préserver les conditions idéales pour un futur positionnement implantaire.
L’objectif de ce module est de permettre une approche rigoureuse de la préservation alvéolaire, en vue d’optimiser le positionnement tridimensionnel de l’implant et de faciliter l’intégration fonctionnelle et esthétique de la restauration prothétique.
Maîtriser les techniques d’extraction atraumatique
Utiliser efficacement les outils diagnostiques (photographie, imagerie, etc.)
Comprendre les objectifs et indications de la préservation alvéolaire
Sélectionner les biomatériaux appropriés (substituts osseux, membranes) et les techniques de suture
Évaluer les indications de temporisation et choisir la solution adaptée
Pratiquer les techniques de préservation alvéolaire en atelier
Pour voir le contenu détaillé et les modalités d’inscription.
Formation accessible à toute l'équipe
VOLET 1 L’implantologie en équipe : pour une pratique cohérente et performante
Afin d’assurer le succès des traitements en implantologie, la communication, la coordination et une compréhension partagée des protocoles sont essentielles. Chez Implant Québec, nous croyons fermement que chaque membre de l’équipe joue un rôle clé dans l’expérience et le parcours du patient.
Cette formation s’adresse aux secrétaires, assistantes, hygiénistes, coordonnatrices et dentistes souhaitant améliorer leur compréhension des traitements implanto-portés et optimiser leurs pratiques à l’interne. Elle vise à renforcer les bases communes et à faciliter une collaboration efficace avec l’équipe chirurgicale.
Cette formation interactive permettra à votre équipe de poser des questions, d’échanger sur ses pratiques, et de repartir avec des outils concrets pour améliorer la fluidité et la qualité des soins offerts au quotidien. Les dentistes sont les bienvenus pour accompagner leur équipe et enrichir les discussions à travers leur propre expérience clinique.
OBJECTIF DE CETTE FORMATION :
Acquérir une meilleure compréhension globale des traitements implantaires
Développer une approche cohérente et rassurante envers les patients
Mieux communiquer avec l’équipe chirurgicale et comprendre les étapes du processus
Pour voir le contenu détaillé et les modalités d’inscription.
Formation accessible à toute l'équipe
Revoir les options de traitement implantaires les plus fréquentes
Se familiariser avec l’instrumentation de base et la logistique des cas
Structurer les protocoles de suivi et de coordination à l’interne
VOLET 2 — Implantologie sur mesure : pour aller plus loin
Les participants ayant complété le Volet 1 seront admissibles à un second volet, conçu pour approfondir certains aspects spécifiques de l’implantologie selon les besoins de votre équipe.
CE VOLET 2 PERSONNALISÉ PERMET DE CIBLER DES THÉMATIQUES PRÉCISES TELLES QUE :
La gestion des suivis et des protocoles d’hygiène implantaires
Le rôle de l’équipe dans la maintenance à long terme
Les prothèses complètes sur implants et leur suivi clinique
D’autres sujets sur demande, en fonction des réalités et des défis rencontrés en clinique
Personnalisez votre formation selon vos besoins en implantologie
Offertes une fois par année, nos conférences ont pour objectif d’approfondir des sujets actuels et pertinents en implantologie, tant sur le plan clinique que technologique. Elles s’adressent aux dentistes et à leur équipe, afin de favoriser une compréhension partagée des avancées et des meilleures pratiques en matière de traitements implanto-portés.
Pour enrichir le contenu et varier les perspectives, nous invitons régulièrement des conférenciers externes à l’équipe d’Implant Québec. Chaque conférence peut également être accompagnée d’un atelier ou d’une formation pratique, permettant une mise en application concrète des notions abordées.
Ces événements sont une excellente occasion de maintenir un contact direct avec nos collaborateurs et de soutenir le développement continu de leur pratique.
La conférence est offerte une fois par année, sur une durée variant d’une demi-journée à une journée complète.
Pour voir le contenu détaillé et les modalités d’inscription.
accessible à toute l'équipe
Pour consulter la description complète de nos formations, obtenir des informations supplémentaires ou procéder à votre inscription, nous vous invitons à visiter la zone professionnelle de notre site Web, sous l’onglet Formation dentistes, à l’adresse suivante : implantquebec.com
Par courriel : formation@implantquebec.com
Par téléphone : Anne Petitclerc au 418 658-5177, poste 2
Veuillez noter qu’il est important d’utiliser une adresse courriel unique par participant, afin d’assurer l’émission adéquate des crédits de formation continue.
Notre programme répond aux exigences de formation minimale de l’Ordre des dentistes du Québec (ODQ) pour le dentiste qui réalise la phase prothétique. Nous offrons également des formations accréditées par l’OHDQ, destinées aux membres des équipes dentaires.
Depuis 1990, Implant Québec agit comme centre de référence pour la gestion des complications en implantologie, tant chirurgicales que prothétiques.
Ce qui nous distingue particulièrement, c’est notre savoir-faire en gestion des complications prothétiques et chirurgicales, un domaine souvent complexe et exigeant sur le plan clinique.
Ce service est offert grâce à une équipe expérimentée capable d’intervenir dans les situations les plus délicates et à une vaste expertise acquise depuis plus de 30 ans dans le domaine.
Nous accompagnons les professionnels et leurs patients dans divers contextes, notamment :
Péri-implantite
Restauration problématique
Reprise de cas complexes
Pour en savoir davantage sur notre gestion des complications, n’hésitez pas à communiquer avec nous par courriel à soutien@implantquebec.com ou par téléphone au 418-658-5177 poste 2.
Grâce à notre expérience clinique approfondie, nous prenons en charge tous types de traitements implantaires, peu importe :
L’origine du cas
Le système d’implants utilisé
Qu’ils aient été réalisés ici ou ailleurs dans le monde
Notre approche est centrée sur la collaboration et vise à soutenir efficacement le dentiste traitant :
Travail en étroite collaboration
Respect du lien de confiance établi avec le patient
Intervention ciblée, rigoureuse et respectueuse
Recherche constante du résultat optimal, dans une approche humaine et professionnelle
NOTRE MISSION :
Vous soutenir avec rigueur, expertise et respect, dans les situations les plus simples comme les plus complexes.
Nous sommes conscients que chaque professionnel possède une expertise et des limitations qui lui sont propres. Dans cet esprit, notre équipe demeure disponible pour prendre en charge les traitements que vous désirez nous déléguer. Notre priorité est d’assurer une expérience optimale pour le patient, qu’il s’agisse d’une restauration unitaire, partielle ou complète, simple ou complexe. Si vous choisissez de ne pas réaliser la portion prothétique, nous pouvons en assurer la prise en charge, et ce, jusqu’à la restauration finale.
Une fois le traitement complété, le patient est réorienté vers votre clinique pour les suivis annuels, dans un esprit de continuité, de transparence et de respect du lien de confiance établi.
Cette approche reflète la vision globale de notre programme de formation : rendre la restauration sur implants accessible, structurée et prévisible, tout en assurant une qualité constante des soins offerts à vos patients. C’est donc dans une approche centrée sur le patient et la collaboration interprofessionnelle que nous offrons un accompagnement complet ou partiel pour la restauration prothétique sur implants, selon vos préférences et le contexte clinique.
Pour en savoir davantage sur notre volet prothétique, n’hésitez pas à communiquer avec nous par courriel à soutien@implantquebec.com ou par téléphone au 418-658-5177 poste 2.
TYPES DE CAS PRIS EN CHARGE :
Restaurations unitaires
Restaurations partielles
Restaurations complètes
Reprises de cas prothétiques
Gestion de complications
MENTORAT
Depuis ses débuts, Implant Québec offre un service de mentorat axé sur l’aide, le soutien clinique et le partage de connaissances. Forts de notre expérience en tant que dentistes généralistes, ce qui nous distingue, c’est notre approche du mentorat prothétique : pragmatique, collaborative et ancrée dans la réalité quotidienne de la pratique. Que vous soyez expérimenté ou débutant en implantologie prothétique, notre équipe est disponible pour vous accompagner à chaque étape du traitement, avec une approche adaptée à votre niveau d’expérience et aux besoins spécifiques de votre pratique.
Ce mentorat s’adresse autant aux dentistes qu’aux membres de l’équipe dentaire, et peut prendre la forme de rencontres au Centre ou directement dans votre clinique, selon les sujets que vous souhaitez approfondir : planification, instrumentation, communication avec le laboratoire, suivis post-traitement, etc.
EXEMPLE DE RENCONTRE DE MENTORAT :
Planification d’un traitement implantaire
Révision des étapes prothétiques avant un cas clinique
Séance sur l’instrumentation et les composantes prothétiques
Accompagnement en temps réel lors d’une restauration ou d’une empreinte *
* Le mentorat est disponible sous une formule de taux horaire, incluant la remise d’une attestation de formation continue selon la durée totale du mentorat complété.
Pour en savoir davantage sur notre programme de mentorat, n’hésitez pas à communiquer avec nous par courriel à soutien@implantquebec.com ou par téléphone au 418-658-5177 poste 2.
Personnalisez votre formation selon vos besoins en implantologie
Expertise renommée Écoute attentive Traitements personnalisés
Installations sécuritaires et d’avant-garde Résultats exemplaires