Endodontic Practice US Winter 2024 Vol 17 No 4

Page 1


Driving efficiency through leadership: a comprehensive approach

Anesthesia in the endodontic practice — reducing the fear of "the shot"

Dr. Gary Glassman

The art of hiring and firing for your dental practice

Kristin Tauras, JD

Review of an effective method of cleaning the root canal system

Dr. David Kelliny

Winter 2024 n Volume 17 Number 4

Editorial Advisors

Dennis G. Brave, DDS

David C. Brown, BDS, MDS, MSD

L. Stephen Buchanan, DDS, FICD, FACD

Gary B. Carr, DDS

Arnaldo Castellucci, MD, DDS

Gordon J. Christensen, DDS, MSD, PhD

Stephen Cohen, MS, DDS, FACD, FICD

Samuel O. Dorn, DDS

Josef Dovgan, DDS, MS

Luiz R. Fava, DDS

Robert Fleisher, DMD

Marcela Fridland, DDS

Gerald N. Glickman, DDS, MS

Jeffrey W Hutter, DMD, MEd

Syngcuk Kim, DDS, PhD

Kenneth A. Koch, DMD

Gregori M. Kurtzman, DDS, MAGD, FPFA, FACD, DICOI

Joshua Moshonov, DMD

Richard Mounce, DDS

Yosef Nahmias, DDS, MS

David L. Pitts, DDS, MDSD

Louis E. Rossman, DMD

Stephen F. Schwartz, DDS, MS

Ken Serota, DDS, MMSc

E Steve Senia, DDS, MS, BS

Michael Tagger, DMD, MS

Martin Trope, BDS, DMD

Peter Velvart, DMD

Rick Walton, DMD, MS

John West, DDS, MSD

CE Quality Assurance Board

Bradford N. Edgren, DDS, MS, FACD

Fred Stewart Feld, DMD

Gregori M. Kurtzman, DDS, MAGD, FPFA, FACD, FADI, DICOI, DADIA

Justin D. Moody, DDS, DABOI, DICOI

Lisa Moler (Publisher)

Mali Schantz-Feld, MA, CDE (Managing Editor)

Lou Shuman, DMD, CAGS © MedMark, LLC 2024. All rights reserved. The publisher’s written consent must be obtained before any part of this publication may be reproduced in any form whatsoever, including photocopies and information retrieval systems. While every care has been taken in the preparation of this magazine, the publisher cannot be held responsible for the accuracy of the information printed herein, or in any consequence arising from it. The views expressed herein are those of the author(s) and not necessarily the opinion of either Endodontic Practice US or the publisher.

Circulation Disclosure: Total Circulation May Vary. Publisher retains the right to adjust circulation based on a number of factors including but not limited to: print and digital distribution by mail, email, and website for industry tradeshows, educational events, including nonpaid bulk copies and/or digital access provided to events, clients and educational institutions.

ISSN number 2372-6245

A rapidly evolving specialty

Welcome to an exciting exploration of the rapidly evolving world of endodontics, where cutting-edge technologies and enduring principles come together to redefine our practice. From AIenhanced diagnostics to the precision of cone beam imaging and advanced irrigation systems, our field is experiencing remarkable innovations. These tools certainly improve treatment planning, patient outcomes, and overall efficiency.

However, it’s important to remember that true efficiency isn’t built on high-tech solutions alone. Equally essential are what I call the “low-tech” strategies — fostering strong patient relationships, developing a well-trained and empowered team, and cultivating a practice culture grounded in collaboration and continuous improvement. These elements are not just complementary to advanced tools; they’re critical for turning potential into performance.

At our practice, we’ve found that leveraging staff engagement can be as impactful as the latest technology in driving results. When team members understand both the technology and the human side of patient care, it creates a synergistic effect. Engaged, knowledgeable staff can match — sometimes even exceed — the efficiency of any new gadget. They anticipate patient needs, communicate effectively, and ensure a smooth patient journey, from initial contact to treatment follow-up. This collaborative approach not only enhances clinical outcomes but also creates a positive, patient-centered environment.

Efficiency, therefore, isn’t just about speed or innovation; it’s about balance. High-tech tools help us push the boundaries of what’s possible, but it’s the consistent, patient-focused efforts of our team that sustain long-term success. Patients may be impressed by our advanced equipment, but they stay loyal because of the care and communication they receive.

As you read through this issue, I invite you to consider how high-tech advancements and fundamental practice strategies can coexist harmoniously. It’s not just about what we have in the operatory — it’s about how we use it and, most importantly, how we work together as a team to maximize patient outcomes and overall practice performance.

Sincerely,

Craig Hoffmann, DDS, earned his dental degree from the University of Michigan in 1993 and practiced general dentistry for over a decade before pursuing a specialization in endodontics. In 2005, he began his residency at the University of Missouri-Kansas City, completing it in 2007. After residency, he entered private practice and has since been a leading force at Wichita Endodontics, located in Wichita, Kansas.

With extensive experience in both clinical care and practice management, Dr. Hoffmann built a successful general dentistry practice from scratch, which he sold in 2005 before transitioning to endodontics. Since 2007, he has helped scale Wichita Endodontics from 2 doctors and 8 staff members to 6 doctors and 40 staff members. In 2021, Wichita Endodontics partnered with Specialty1 Partners, who have been a critical part of supporting the practice’s growth, focusing on combining high-tech innovations with a collaborative team dynamic to enhance patient care and operational efficiency.

Craig Hoffmann, DDS

Dr. Craig Hoffmann describes how to grow and foster leadership with the help of Specialty1 Partners

Cover image of Dr. Craig Hoffmann courtesy of Specialty1 Partners.

PRODUCT PROFILE

EdgeOne Blaze

Utopia™: a must-have for every general dentist and endodontist

Dr. Biraj Patel discusses an innovative endodontic file system .......................................... 24

GOING VIRAL

Integrating AI in dental practices

Gary Salman explains how to reap the benefits of AI more safely.................................................. 25

PRODUCT PROFILE Where memory meets flexibility

With excellent flexibility for up to 90º curves, ZenFlex CM files combine high cutting efficiency with superior resistance to cyclic fatigue and file separation ....... 28

Kristin Tauras, JD, discusses how to establish a detailed hiring process and how to fire staff that are detrimental to your practice

Drs. Joel Small and Edwin McDonald discuss decreasing

Published by

Publisher Lisa Moler lmoler@medmarkmedia.com

Managing Editor

Mali Schantz-Feld, MA, CDE mali@medmarkmedia.com Tel: (727) 515-5118

National Account Manager Adrienne Good agood@medmarkmedia.com Tel: (623) 340-4373

Sales Assistant & Client Services Melissa Minnick melissa@medmarkmedia.com

Creative Director/Production Manager Amanda Culver amanda@medmarkmedia.com

Marketing & Digital Strategy Amzi Koury amzi@medmarkmedia.com

eMedia Coordinator

Michelle Britzius emedia@medmarkmedia.com

Social Media Manager Felicia Vaughn felicia@medmarkmedia.com

Digital Marketing & Sales Administrator Sharif Rod sharif@medmarkmedia.com

Website Support

Eileen Kane webmaster@medmarkmedia.com

MedMark, LLC

400 Crossing Blvd. Bridgewater, NJ 08807

Tel: (480) 621-8955

Toll-free: (866) 579-9496 www.medmarkmedia.com

www.endopracticeus.com

Subscription Rate

1 year (4 issues) $149 https://endopracticeus.com/subscribe/

Weathering the storms

Droughts, heat waves, rain, hurricanes, blizzards, tornadoes, wildfires, and earthquakes, or beautiful sunshine — no matter where you live in the U.S., the weather can bring you the bliss of sitting by the pool or bring you scurrying into the safest windowless room for cover. It’s not just the weather’s fluctuations that we need to prepare for — hoping for the best while preparing for the worst is the best way to avoid storms in all aspects of life. Our focus at MedMark publications is to help you be prepared to face all of the issues that may pop up in your practice, to give you better control over your business and clinical decisions, less stress, and more success.

Here are three tips on keeping your head above water, when you feel that flood of anxiety from practice stress.

• Pinpoint your stressors: Define what in your practice is keeping you awake at night, and maybe even keep a journal of what is causing you stress at the end of each work day. Are you afraid that your computer systems aren’t secure from cyberattacks? Are you unsure that your equipment is providing the specific information you need to get the best diagnostics? Are you frustrated that you cannot offer the latest treatment opportunities? Before you can fix a problem, you have to be sure of what the problem actually is.

• Establish a practice culture: Make sure that your practice handbook specifically outlines what behaviors and attitudes are acceptable and which will not be tolerated. Have weekly or monthly team meetings to make sure everyone is on the same page. To head off problems before they grow, learn about conflict resolution skills or hiring-and-firing protocols. If you have an office manager, remember to include him/her in these learning opportunities, and make sure your team knows that you are available for the more complicated situations.

• Give yourself the edge over the competition: It is stressful to watch potential patients filling up other dentists’ appointment calendars. In this day of the Internet and technology, you need to reassess your equipment to improve efficiency, accuracy, and increase patient care and options. Especially in this age of social media, you want your patients to see that you, rather than the clinician across the street, have the most up-to-date imaging, more painless protocols, or faster treatment options.

MedMark publications can help you discover new innovations and information that can help your practice to thrive. In our Cover Story, Dr. Craig Hoffmann describes how Wichita Endodontics developed a business model that balances technical excellence with exceptional patient care with the help of Specialty1 Partners. Our CE by Dr. Gary Glassman talks about anesthesia delivery, how it has evolved over the years, and how being open to change may reduce patients’ fear of the endodontist. Our CE by Kristin Tauras, JD, outlines a detailed hiring and firing process that can save practitioners time and stress.

In this last issue of 2024, we give you our “umbrella wish” for fair weather, a dedicated and efficient team, a growing loyal patient list, less stress, and more fulfillment of your goals in the coming year.

Remember, every storm passes, and you need to be prepared to make intentional, positive decisions for a stronger and more profitable future.

To your best success, Lisa Moler

Lisa Moler Founder/Publisher, MedMark Media

Driving efficiency through leadership: a comprehensive approach to endodontic practice management

Dr. Craig Hoffmann describes how to grow and foster leadership with the help of Specialty1 Partners

In today’s fast-paced dental landscape, running a highly efficient endodontic practice requires more than just clinical skill and high-tech tools. It’s about building systems and empowering teams to function at the highest level. At Wichita Endodontics, we’ve had the opportunity to lead a multi-doctor endodontic practice that balances technical excellence with exceptional patient care. Our growth and success have been driven by strong leadership, strategic operational systems, and a commitment to consistently delivering top-notch service. Here’s how we’ve done it.

Developing a leadership team: the foundation of our practice philosophy

As our practice grew, it became clear that in order to maintain efficiency and high standards of patient care, we needed

to develop a leadership team. Managing six doctors and about 40 staff members required a shift from being heavily involved in day-to-day operations to empowering others to take on leadership roles. This shift allowed us to focus more on strategic growth, patient care, and continuous improvement.

Building a strong leadership structure didn’t happen overnight; it was shaped by the lessons we learned from several influential books. These books provided the framework for lead-

ership, team engagement, and operational efficiency, helping us transform our approach to running the practice.

1. Turn the Ship Around! by L. David Marquet – This book introduced us to the concept of “leader-leader” rather than “leader-follower.” We embraced the idea of empowering every team member to act as a leader in their role, making decisions independently and owning their responsibilities. This shift has been vital to maintaining efficiency across our growing team.

2. The 21 Irrefutable Laws of Leadership by John Maxwell – The “Law of the Lid” was a game-changer for us. It reinforced that the practice could only grow as much as we grew as leaders. This insight pushed us to continually improve our leadership skills and ensure that our leadership team was capable of raising the overall level of the practice.

3. The Ideal Team Player by Patrick Lencioni – This book helped us define the characteristics we wanted to cultivate in our team. We developed the CHAAD values (Considerate, Humble, Ambitious, Adaptable, and Dependable) based on Lencioni’s framework for finding and developing ideal team players. These values have become the foundation for how we recruit, train, and recognize our staff.

4. Traction by Gino Wickman – As we scaled, it became essential to have systems in place that could support growth. Traction provided us with a practical framework for operational management, ensuring that as we grew, we didn’t lose control of the business side of things.

5. Fix This Next by Mike Michalowicz – Whenever challenges arose, Fix This Next helped us prioritize what needed immediate attention. This book guided us through systematically fixing operational bottlenecks, allowing us to stay focused on continuous improvement without being overwhelmed.

These books were instrumental in guiding the development of a leadership structure that could manage the increasing complexities of a growing practice. By applying the lessons we learned from them, we created an efficient, empowered team capable of driving the practice forward.

The leadership lid: raising the ceiling for success

One of the most impactful leadership concepts we’ve embraced is from John Maxwell’s The 21 Irrefutable Laws of Leadership, specifically the “Law of the Lid.” This principle states that an organization can only rise to the level of its leader. Realizing that we were the “lid” of our practice was a turning point. If we wanted to see our team reach new heights in terms of efficiency and patient care, we had to continually improve ourselves as leaders.

This insight drove us to build a leadership team that could elevate our entire practice. By creating a leadership structure that empowers others, we could ensure the continued growth of the practice, even if we weren’t directly involved in every decision or interaction. Our leadership team, developed through book studies like Maxwell’s and L. David Marquet’s Turn the Ship Around! now functions independently, driving operational efficiency and contributing to our practice’s consistent success.

Empowering team members through level 4 leadership

Marquet’s Turn the Ship Around! heavily influenced our approach to leadership. His focus on turning followers into leaders at every level resonated deeply with us. In our practice, this has translated into empowering team members to take ownership of their roles, make decisions, and proactively seek solutions. We don’t wait for issues to arise before fixing them — our team is encouraged to identify problems and present solutions. Our assistants, inspired by these principles, play a pivotal role in patient care, from conducting clinical tests to explaining procedures. By the time the doctors step into the room, much of the groundwork has been laid, allowing them to focus on diagnostics and treatment without delay. This approach saves time while maintaining high patient satisfaction. Our team members aren’t just cogs in the machine — they’re leaders in their own right, and their autonomy allows the practice to run smoothly without bottlenecks.

Scaling with Specialty1 Partners: the key to managing growth

As our practice grew to include six doctors and about 40 staff members, managing the administrative workload became increasingly difficult. While we had built strong systems to handle clinical efficiency, the business operations side was consuming too much of our time. It was clear that in order to continue growing while maintaining high standards of care, we needed help. That’s when we partnered with Specialty1 Partners (S1P).

S1P has been instrumental in alleviating the administrative burden that had previously fallen on us. By working directly with our office manager, S1P handles the bulk of our administrative tasks — everything from payroll and HR to billing and compliance. This partnership has allowed us to focus on what

Wichita Endodontics leadership team

we do best: managing referrals, optimizing patient care, and refining clinical procedures. Instead of getting bogged down with day-to-day administrative duties, we can dedicate our time to continuous improvement in patient experience and treatment outcomes.

The ability to hand over these non-clinical responsibilities has been a game-changer for us. It’s enabled us to focus on leadership and patient care while ensuring that the business side of the practice runs smoothly, allowing for sustained growth without compromising quality.

Core values that shape our practice culture

Efficiency isn’t just about speed; it’s about creating an environment where everyone feels valued and understands the core principles guiding their actions. Patrick Lencioni’s The Ideal Team Player helped us define these principles, which became the foundation of our CHAAD values: Considerate, Humble, Ambitious, Adaptable, and Dependable.

Each month, we recognize a team member who exemplifies these qualities through our CHAAD Star of the Month program. This recognition reinforces our values while encouraging team members to strive for excellence in both technical skills and interpersonal interactions. Our focus on humility and adaptability ensures that no matter the challenge — whether it’s a difficult case or a last-minute scheduling change — our team is prepared to handle it with grace.

Exceeding patient expectations: creating raving fans

After attending a Tony Robbins seminar, we became deeply invested in the concept of creating “raving fans.” This philosophy goes beyond just meeting patient expectations — it’s about exceeding them at every turn. From the first phone call to posttreatment follow-up, our goal is to surprise and delight our patients with exceptional service. It’s not just about the clinical results; it’s about making the entire experience memorable.

Our reviews often highlight not only the doctors but also the team’s performance, which reflects the culture we’ve worked hard to cultivate. Each touchpoint, from patient intake to post-procedure care, is designed to ensure patients feel heard, supported, and respected. By the time they leave our office, they’re not just satisfied — they’re advocates for our practice.

Building systems for efficiency: the key to highlevel production

Of course, none of this would be possible without a well-designed system. Efficiency in an endodontic practice isn’t about cutting corners — it’s about maximizing the value of every team member’s time. One of the keys to our success has been streamlining our workflow so that doctors focus solely on clinical tasks, while highly trained assistants manage the rest.

Our assistants handle everything from patient intake to clinical testing, so when the doctors enter the room, they can make the diagnosis and start treatment almost immediately. This system, where assistants manage radiographs, testing, and patient education, saves around 20 minutes per case. It allows the doctors to move quickly between patients without sacrificing

quality. Each assistant is trained to anticipate needs, ensuring that every step of the process flows seamlessly.

We’ve also adopted a dual-chair system, where consult assistants manage patient consults, reducing the time doctors spend on non-clinical tasks. These assistants gather medical information, explain treatment options, and get consent, allowing the doctor to step in only for critical points in the process. The time saved is significant, allowing for a higher number of daily treatments without overwhelming the team or compromising care.

Watching our team grow: the most fulfilling aspect of leadership

One of the greatest joys of our careers has been watching the team grow, both personally and professionally. There’s immense satisfaction in seeing someone join the practice in a junior role and then evolve into a leader. As the team becomes more capable, the practice benefits, and so do our patients.

We’ve made it a priority to create opportunities for our team to grow and succeed. Whether it’s through leadership development programs or simply offering guidance on a challenging case, fostering this growth has become one of the most rewarding aspects of our work. It’s a reminder that the success of a practice isn’t just about one person — it’s about the collective effort of a committed and capable team.

Conclusion: efficiency through empowerment

As we reflect on what has made our practice successful, we keep coming back to one word: empowerment. By empowering our team, focusing on core values, and building systems that allow us to run efficiently, we’ve created an environment where every team member can thrive. In turn, this has allowed us to provide exceptional care to our patients, consistently exceeding their expectations.

Our partnership with Specialty1 Partners has also played a critical role in enabling us to maintain this level of care while managing the complexities of growth. By allowing S1P to handle the administrative side of the practice, we’ve been able to focus on what matters most: delivering high-quality endodontic care and creating an outstanding patient experience. EP

Dr. Hoffmann focuses solely on clinical tasks, with the help of Specialty1 Partners, to provide patient care that exceeds expectations

“It’s

ZenSeal™ bioceramic sealer to the rescue

Dr. Rico Short treats a young patient with an avulsed tooth

A13-year-old was riding his bicycle and flew off the handlebars. Tooth No. 9 was completely avulsed. A few hours later, the tooth was found, and his mother placed it in milk. This tooth was out of the socket for over 24 hrs. It was replaced by a pediatric dentist and splinted, and the patient was sent to me for an evaluation.

*At 20 minutes outside the mouth, the PDL cells start dying resulting in resorption or ankylosis.*

1. A LFOV 3D CBCT was performed. There was no fracture on the tooth or alveolar fracture.

2. The apex was slightly open, and there was apical bone destruction from the trauma.

3. Endodontic treatment was performed in one visit using my all-in-one irrigate solution for my primary irrigate.

4. Single-cone condensation was used with ZenSeal™ bioceramic sealer and single-cone gutta percha on this case.

5. The patient returned 6 months later, and another LFOV 3D CBCT was performed.

Rico Short, DMD, BCE, FICD, was awarded a presidential scholarship and studied at Morris Brown College from 19921995 to achieve a Bachelor of Science degree in 3 years. He graduated valedictorian with a 3.98 GPA. Dr. Short attended the Medical College of Georgia School of Dentistry from 1995-1999 and attained a Doctor of Dental Medicine Degree in which he graduated with honors. He went back home to practice general dentistry in Columbus Georgia for 2 years. Dr. Short’s compassion lead him to treat underserved children who had less access to dental care and help those who wanted to save their teeth. It birthed the desire for him to become excellent in one particular area in dentistry: root canal therapy.

Dr. Short has membership in several honorary dental societies. Some of them include: American Association of Endodontists, American Board of Endodontics, American Dental Association, National Dental Association, The Hinman Dental Society, Southern Endodontic Study Club, and many more local and national dental membership societies. In addition, Dr. Short has received numerous awards and recognition for his contribution to dentistry and society such as Lifetime Alumni of the Medical College of Georgia School of Dentistry; Leading Dentist In Continuing Education; The Top 40 Dentists Under 40 in America; The Character, Commitment, and Dedication Award from Morris Brown College, and many others.

Dr. Short is also a well noted motivational speaker and author. His new book Getting to the Root of Your Problem has opened doors for him to speak to youth groups all over the United States. His main focus is to encourage the youth to set goals and give them realistic advise on how to achieve them. Since Dr. Short was one of the first in his family to attend college and become a doctor, he encourages the youth that they can do the same if they remain focused and work hard.

Disclosure: The opinions and techniques discussed are based on the experience of Dr. Rico Short, who is a paid consultant of Kerr. Kerr is a medical device manufacturer and does not dispense medical advice. Clinicians should use their own judgment in treating their patients.

6. The splint had been removed, the patient was asymptomatic, the tooth was tight, and the PDL was intact.

7. There was no resorption noted, and the bioceramic sealer is seen at the apex with osseous repair.

ZenSeal is a trademark of Kerr Corporation. All other trademarks are properties of their respective owners.

Review of an effective method of cleaning the root canal system

Dr. David Kelliny shares his experience with the GentleWave® System

“Ilove my GentleWave® System.” That’s how I answer and start a conversation with anyone who asks me about the GentleWave Procedure. I have been a user and a believer for 5 years. The GentleWave Procedure is an advanced endodontic treatment that utilizes a combination of different technologies to improve the success rate of root canal treatment. This procedure is a minimally invasive technique that uses a combination of sound waves and fluid dynamics to create a powerful vortex that cleans and disinfects the root canal system.

The traditional method of root canal treatment involves the use of rotary and hand files and irrigation solutions to clean and shape the root canal system. While this method has been reasonably effective for many years, it has its limitations. One of the main challenges is the presence of complex anatomical structures within the root canal system that are difficult to access and clean thoroughly. These structures can serve as a haven for bacteria and other microorganisms, leading to treatment failure.

The GentleWave Procedure, on the other hand, overcomes these limitations and improves the outcomes of root canal treatment. The specially designed Procedure Instrument (PI) creates acoustic energy in the irrigation solution. The acoustic waves and fluid agitation used in the procedure can reach areas that are difficult to access with traditional instrumentation, facilitating the removal of bacteria and debris from the tooth. This helps to reduce the risk of reinfection and improves the overall success rate of the treatment.

One of the major benefits of the GentleWave Procedure is that it can significantly reduce the time required for root canal treatment. Because the procedure is more efficient than traditional methods, it can often be completed in a single visit, saving patient’s time, and reducing the need for multiple appointments.

Dr. David Kelliny earned his bachelor’s degree in Dental Surgery from Cairo University in 1992. He graduated with a Doctor of Dental Surgery degree from University of Southern California in 1998 and earned a Certificate in Endodontics also from USC in 2001. Dr. Kelliny is currently a part-time Clinical Assistant Professor at the Herman Ostrow School of Dentistry of USC post-graduate Endodontic program and has been teaching at USC since 2002; he is involved in teaching and lecturing residents on various aspects of endodontics with a specific emphasis on surgical endodontics, 3D endodontics, and dental implants. Dr. Kelliny is a member of the American Dental Association, California Dental Association, Western Los Angeles Dental Society, American Association of Endodontists, American Dental Society of Anesthesiology, and International Congress of Implantologists.

Disclosure: The author declares that there are no conflicts of interest in connection with this article.

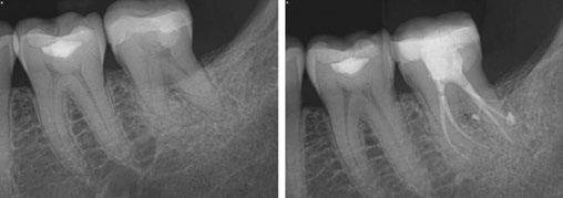
1: Radiograph of tooth No. 18. The image on the right illustrates how the GentleWave Procedure cleans and clears all portals of exit

Additionally, the GentleWave Procedure is less invasive than traditional methods, which can help to reduce doctor discomfort and speed up the healing process. In fact, research shows 97.7% of patients experience healing within 12-months.1

The GentleWave Procedure has several advantages over traditional root canal treatment. First, it is a minimally invasive technique that preserves more tooth structure, reducing the risk of tooth fracture and improving the long-term prognosis of the tooth. Second, it is a more efficient method of disinfection, enabling thorough cleaning of even complex anatomical structures within the root canal system. Third, it reduces the risk of treatment failure and the need for retreatment. Studies have shown that the procedure is effective at removing bacteria and debris from the root canal system, which can significantly improve the success rate of root canal treatment.

Let’s examine a case of a 58-year-old male who presented to my office in pain. He was referred as an emergency for consultation and treatment on either tooth No. 18 or 19. The patient presented with pain that had been on and off for over a month. The patient’s chief complaint was pain to cold and hot that lingered and now was spontaneous. On examination, tooth No. 19 responded to pulp testing within normal limits and was negative to percussion. Tooth No. 18 had a lingering sensitivity to cold, and a diagnosis of irreversible pulpitis and symptomatic apical periodontitis was made.

As you can see from final radiographs, the GentleWave Procedure’s ability to clean out and clear all portals of exit is on clear display here. I would not have had a similar outcome if I did not use the GentleWave Procedure.

In conclusion, the GentleWave Procedure is an advanced and highly effective method for cleaning the root canal system during endodontic treatment. The procedure offers numerous benefits, including that it reduces treatment time, is less invasive, and has a high success rate. As such, the GentleWave Procedure represents a significant advancement in the field of endodontics and offers a promising treatment option for patients.

Review additional clinical studies and practice case studies at GentleWave.com/Doctor.

1. Sigurdsson A, Garland RW, Le KT, Woo SM. 12-month Healing Rates after Endodontic Therapy Using the Novel GentleWave System: A Prospective Multicenter Clinical Study. J Endod. 2016 Jul;42(7):1040-1048.

GentleWave® is a trademark of Sonendo, Inc.

Figure

The GentleWave® G4 System

Patient Care, Personalized.

The latest innovation for the GentleWave® G4 System, ProControl™ gives you the ability to adjust the percentage of concentration for NaOCl throughout the procedure, allowing for customizable root canal treatment within proven protocols for every patient, plus:

〉 Debride and disinfect undetected anatomical spaces1,2

〉 99.9% removal of biofilm3

〉 96.6% of patients report only mild or no pain within 48 hours 4

〉 97.7% healing rate at 12 months5

YOUR PATIENT. YOUR PROTOCOL.

Learn more about ProControl and how your colleagues are customizing treatment to meet the needs of each patient. GentleWave.com/ProControl

1 Wang Z et al. J Endod. 2018; 44(5):842-848

2 Molina et al. J Endod. 2015; 41(10):701-5

3 Choi HW et al. Materials (Basel). 2019;12(21):3492

4 Data on file

5 Sigurdsson A, Garland RW, Le KT, Rassoulian SA. Healing of Periapical Lesions after Endodontic Treatment with the GentleWave Procedure: A Prospective Multicenter Clinical Study. J Endod. 2018 Mar;44(3):510-517. doi: 10.1016/j.joen.2017.12.004. Epub 2018 Jan 12. PMID: 29336878

© 2024 Sonendo, Inc. All rights reserved. GENTLEWAVE, the GENTLEWAVE logo and PROCONTROL are trademarks of Sonendo, Inc. Patented: www.sonendo.com/intellectualproperty. MM-2371 Rev 01

Anesthesia in the endodontic practice — reducing the fear of “the shot”

Dr. Gary Glassman discusses various forms of anesthesia and how to improve the patient experience

What are the biggest fears of life? There’s the fear of dying, the fear of public speaking, fear of animals and crawling insects, but one of the most prevalent, is fear of pain from the dentist’s needle. (Trypanophobia is the medical term for fear of receiving an injection.) Dentists have spent much time and money on local anesthetic products, distraction techniques, and buffered anesthetic agents.1 And, over the years, much time and research has been spent on developing anesthetic delivery systems that are more comfortable and easier on the patient and the doctor.

Historical background

In the annals of anesthetic delivery history, Dr. Harvey S. Cook is a pioneer and visionary. In 1917 during World War I, he was a physician for the U.S. Army in France. He found that on the battlefield, it was not efficient to draw up the solution into the metal syringe every time anesthesia was needed. He created a faster and more efficient design after observing soldiers load their rifles and watching the empty shells being dispensed after firing. He cut glass tubing and filled them with anesthetic solution, creating the first prepackaged cartridges of anesthetic. For the stopper, he used the erasers from the heads of pencils. This

Gary Glassman, DDS, FRCD(C), graduated from the University of Toronto, Faculty of Dentistry in 1984 and was awarded the James B. Willmott Scholarship, the Mosby Scholarship, and the George Hare Endodontic Scholarship for proficiency in Endodontics. A graduate of the Endodontology Program at Temple University in 1987, he received the Louis I. Grossman Study Club Award for academic and clinical proficiency in Endodontics. In 2024, he was awarded the Award of Merit from the Ontario Dental Association in recognition for his exceptional contributions to the field of dentistry. The author of numerous publications, Dr. Glassman lectures globally on endodontics and is on staff at the University of Toronto, Faculty of Dentistry in the graduate department of endodontics. As Adjunct Professor of Dentistry and Director of Endodontic Programming from 2010-2017, Dr. Glassman helped develop the dental school curriculum for the Oral Health Science program for the University of Technology, Kingston, Jamaica. He is a fellow of the Royal College of Dentists of Canada, Fellow of the American College of Dentists, endodontic editor for Oral Health dental journal, Editorial Advisory Board for Inside Dentistry, Faculty Chair for DC Institute, and Chief Dental Officer for dentalcorp Canada. He maintains a private practice, Endodontic Specialists, in Toronto, Ontario, Canada. His personal/professional website is www.drgaryglassman.com, and his office website is www.rootcanals.ca He can be reached at gary@rootcanals.ca.

Disclosure: As of the time of this writing, Dr. Glassman was not a KOL for Andau Medical or Milestone Scientific, nor does he have any financial interest in the STA/Wand device.

Educational aims and objectives

This self-instructional course for dentists aims to discuss anesthetic delivery options and how technology has improved the process and patient perception.

Expected outcomes

Endodontic Practice US subscribers can answer the CE questions by taking the quiz online at endopracticeus.com to earn 2 hours of CE from reading this article. Correctly answering the questions will demonstrate the reader can:

• Realize some history of early anesthesia.

• Identify various anesthesia delivery methods over the years.

• Define the C-CLAD — computer controlled local anesthetic delivery category of anesthesia. Recognize some contraindications to single tooth anesthesia.

• Realize some ergonomics specific to the STA system in the C-CLAD category.

• Identify some possible reasons for positive reactions from patients when using less painful and stressful anesthesia methods.

was the forerunner to all future types of carpules and syringes. After patenting the system in 1925 after the war, he founded Cook Laboratories in Chicago, which eventually partnered with RB Waite, a dentist who also had created an improved syringe system. The result was the Cook-Waite Company, whose dental products are still available today.2

Over my 40 years of endodontic practice and treating teeth with “live” nerves, I have tried many options for anesthesia. Like many of my peers, when in dental school, I started with a foot pedal and pulley system to drive my slow handpiece, and using that traditional syringe and anesthetic reinforced the fearsome reputation of dental anesthesia. Even when improvements to the syringe were made, they were still large, cumbersome, and anxiety-producing. In my own childhood memories, I remember my dentist sneaking up with the dreaded shot. It’s one of the reasons I became a dentist — I knew there had to be a better way to induce patients to get dental care, by reducing their fear of “the shot.”

Anesthetic delivery options

I have tried many different anesthetic delivery systems over the years. I’ve tried the Ligmaject syringe with its pistol-grip

handle and a ratchet system that injects a small amount of anesthetic per “click” and the Calaject Computer-Assisted Local Anesthesia unit (Aseptico). I have also used the QuickSleeper Intraosseous Anaesthesia Delivery System. It has a blue tooth-connected foot pedal to a rotating syringe mechanism providing an effective intraosseous injection, but I could not hide the large obtrusive handpiece from the patient, which, in my opinion, is very important to my objective of positive patient experience. In a 2020 study, some children reported that seeing the needle would increase their anxiety.3 The fear and pain of dental treatment also often results in not only avoiding dental care but also uncooperative behavior and unwanted movements while in the chair.4

Many years ago, I implemented the STA Single Tooth Anesthesia® System instrument from Milestone Scientific, which at the time was called “The Wand,” because of its pen-like shape. Patel, et al., notes that Single Tooth Anesthesia has the advantages of “not causing anticipatory worry, not hurting, and having no lingering numbing effects on the lips, tongue, or cheeks.”1

while the needle is inside the tissue, which may cause the needle to break and cause undo patient discomfort. Therefore, it is important for clinicians to select the right product with appropriate weight for their needs.

Often patients require an inferior alveolar nerve block, but in my opinion, that in itself is not enough to provide profound anesthesia for conditions like irreversible pulpitis; most often the lower second molar (the proverbial “hot tooth”). Single tooth anesthesia (STA) is effective because even though it is injected into the gingival tissue, it really is an intraosseous injection. The anesthetic reaches the bone itself, as it surrounds the tooth in a very painless manner. In this way, the “hot tooth” can be anesthetized without the patient experiencing pain. Studies have shown that the Wand® system resulted “in a significant reduction in the perception of pain compared with traditional injections (p=0.04), during induction of local anaesthesia.”4

This type of effective, profound anesthesia is very helpful in reducing fear, for both adults and pediatric patients. It helps to alleviate many of the causes of pain from syringe methods including soft tissue damage during penetration of the oral mucosa and pressure from the spread of the anesthetic solution.

C-CLAD category

The STA is in the category of C-CLAD — computer controlled local anesthetic delivery. According to Kwak, et al., the most widely known devices of this type include the Wand® (Milestone Scientific, Livingstone, New Jersey), Comfort Control Syringe (CCS; Dentsply), QuickSleeper (Dental HiTec, France), and iCT (Dentium, Seoul, Korea).5 Weight is a valid consideration for units such as this. The article notes that the STA is light weight, with a circumference that is about half that of traditional anesthetic syringes. In contrast, the Quicksleeper® and CCS® devices are about three times the size and weight of traditional anesthetic syringes, which can present difficulties in handling for operators with small hands. The increased weight of the Quicksleeper® and CCS® are due to the syringes and motors being combined in the handpiece. The Kwak, et al., article continues, “C-CLAD devices must be held stationary for long periods of time in order to ensure safe administration of anesthesia. If the device is too heavy, operation is difficult, and may lead to chance movement

While Milestone Scientific actually created the C-CLAD category with their debut of the Wand in 1997, the technology of this system is unique because it allows for certain injections that cannot be accomplished with other C-CLAD devices, such as areas of the oral cavity with difficult access. Kwak, et al., notes that the STA cartridge is installed in the main unit, which allows for the cartridge to be changed during anesthesia without having to change the needle position. During an inferior alveolar nerve block for instance, clinicians using traditional syringe methods must remove the needle from the tissue, reload with a new anesthetic carpule, and once again search the landmarks to provide a predictable nerve block. With the STA, the needle is already in position, and practitioner can change the anesthetic carpule on the unit to continue an almost uninterrupted delivery of additional anesthetic. This is especially helpful if the patient needs two or three carpules for the nerve block.

The STA device offers the needles in the 30G ½”, 30G 1” and 27G 1-1/4” to do all the different types of injections. For the mandibular block, the needle of choice would be the 27G 1-1/4”.

The STA is a plastic wand with a little needle at the end of a small tube. The practitioner can actually break down the plastic cover that holds the delivery tubing along specific scored indentations in order to make the handpiece shorter. This is particularly useful with young patients or patients with “needlephobia” as the needle is barely visible and can be covered by the doctor’s hand. Speed of anesthetic delivery is a concern as an injection that is performed too fast may distend the soft tissues too quickly and lead to increased discomfort for the patient compared to a slow measured delivery. Because of its computerization, the STA system provides a slow, controlled flow of anesthetic, greatly reducing pain or discomfort during its delivery due to the slow distension of the soft tissue. The injection is delivered in a controlled flow rate of one drop every other second, which allows the bone to absorb the anesthetic, prevents “oozing” of the anesthetic, and ultimately delivers the injection under the patient’s pain threshold. Continuous positive pressure yields a constant

STA Single Tooth Anesthesia® System instrument from Milestone Scientific

anesthetic drip that precedes the needle during its insertion.4 With some patients, the total quantity of required anesthetic is markedly reduced, due to a very precise injection and consequent rapid onset of anesthesia.6

While some say that local anesthesia is not necessary for sedation patients, in my practice, sedation patients are anesthetized while they are sedated so they will not have pain after awakening.

The Dynamic Pressure Sensing (DPS) technology replaces the traditional hand syringe, which is much harder to control. The technology allows the anesthetic to be precisely administered to just the treatment site — allowing for complete numbness of the tooth being treated, while eliminating the numbing and morbidity effect on the cheek, lip and tongue.

That avoids the patient chewing on their lip, which is especially helpful with children, since they are more likely to cause tissue damage from biting themselves after the procedure while they are still numb. And because the anesthesia is so exact, patients don’t have to worry about 4 to 6 hours of numbness after treatment.

With lower anterior teeth, due to cross innervation, it is not uncommon where clinicians must give bilateral mandibular blocks or technically savvy bilateral mental nerve blocks to provide adequately profound anesthesia. The following case shows how I was able to complete endodontic treatment comfortably on multiple mandibular anterior teeth without the need for nerve blocks or infiltrations which would have caused the patient to have a “numb” lip, chin, and tongue for several hours. Rather STA about each tooth allowed for profound anesthesia without the soft tissue morbidity issues.

Case report No. 1

A 58-year-old female with a non-contributory medical history

presented with a dental history of porcelain veneers on her lower anterior teeth. Teeth Nos. 32, 31, and 42 were diagnosed with pulpal necrosis with symptomatic apical periodontitis. Tooth No. 41 was asymptomatic with a normal pulp with normal apical tissues. Anesthesia was delivered with the STA at the buccal and lingual papillas of the involved teeth, and endodontic treatment was completed painlessly without lip, chin, and tongue anesthesia. The 6-month recall revealed excellent periapical healing, and tooth No. 41 remained asymptomatic with a normal pulp and normal apical tissues.

Contraindications7

As with any dental technology, there are some contraindications. For severe periodontal cases with deep pockets, the area would not become sufficiently anesthetized.

According to Milestone Scientific, the single tooth injection can be an adjunct to a traditional injection in the case of areas of primary apical periodontitis and infection in general. The single tooth injection may not be indicated as a primary injection for surgical procedure, like an apicoectomy. I often use the Wand for traditional injections, (i.e., infiltration, IANB) for these procedures as the delivery is slower, more comfortable for the patient, and may provide longer duration of anesthesia.

Ergonomics

Another advantage of the STA is its ergonomics for the dentist. With repeated use of a traditional syringe, some dentists report overuse injuries to their wrists and hands because of the pushing and pulling of the wrist while injecting.8 The STA is a very tactile handpiece. The computer does the pushing and pulling for the clinician. For doctors suffering from carpal tunnel syndrome and/or repeated strain syndrome this may provide relief.

Figure 1: Pre-op radiograph of teeth Nos. 32, 31, and 42
Figure 2: Post-op radiograph of teeth Nos. 32, 31, and 42
Figure 3: 6-month radiograph of teeth Nos. 32, 31, and 42 revealing healing of the apical lesions and the permanent restoration of all teeth completed.

Patient loyalty and improved practice reputation

Positive patient experience may influence the reputation and growth of a dental practice. A negative patient experience may lose a whole family’s support.

When going to the dentist, especially an endodontist, patients imagine the worst. This generates real anxiety around any procedure and the injection process in particular, since they often are already in pain. If the process is indeed painful, often they will not return to the practice, or will seek out a practice with better pain management. According to Ost, 56% of patients who had injection phobia could trace their fear back to negative conditioning from a health-care experience.9 Moreover, 24% of patients could trace their fear to having seen another child, often a sibling, experiencing a negative event (i.e., painful or traumatic) associated to needles.10 If their expectation of pain is eliminated, patients will tell their family, friends, and post favorable comments on their social media platforms.

A number of studies investigating the origin of dental fear have been published. Most of them indicate needle phobia as the primary etiological factor, potentially leading to avoidance of dental treatment.11,12,13 Having an anesthesia option that is digital, quick, efficacious, and flexible enough to meet the diverse needs of various ages is a valuable asset to any dental practice.

REFERENCES

1. Patel BJ, Surana P, Patel KJ. Recent Advances in Local Anesthesia: A Review of Literature. Cureus. 2023 Mar 17;15(3):e36291.

2. Nathan J, Asadourian L, Erlich MA. A Brief History of Local Anesthesia. Int J of Head and Neck Surg. January-March 2016;7(1):29-32.

3. Noble F, Kettle J, Hulin J, Morgan A, Rodd H, Marshman Z. ‘I Would Rather Be Having My Leg Cut off Than a Little Needle’: A Supplementary Qualitative Analysis of Dentally Anxious Children’s Experiences of Needle Fear. Dent J (Basel). 2020 May 13;8(2):50.

4. Patini R, Staderini E, Cantiani M, Camodeca A, Guglielmi F, Gallenzi P. Dental anaesthesia for children - effects of a computer-controlled delivery system on pain and heart rate: a randomised clinical trial. Br J Oral Maxillofac Surg. 2018 Oct;56(8):744-749.

5. Kwak EJ, Pang NS, Cho JH, Jung BY, Kim KD, Park W. Computer-controlled local anesthetic delivery for painless anesthesia: a literature review. J Dent Anesth Pain Med. 2016 Jun;16(2):81-88.

6. Grassi FR, Rapone B, Scarano Catanzaro F, Corsalini M, Kalemaj Z. Effectiveness of computer-assisted anesthetic delivery system (sta™) in dental implant surgery: a prospective study. Oral Implantol (Rome). 2017 Jan 21;10(4):381-389.

7. Saroff SA, Chasens AI, Orlowski W, Doyle JL. External tooth resorption following periodontal ligament injection. J Oral Med. 1986 Jul-Sep;41(3):201-203.

8. Abichandani S, Shaikh S, Nadiger R. Carpal tunnel syndrome - an occupational hazard facing dentistry. Int Dent J. 2013 Oct;63(5):230-236.

9. Ost LG. Acquisition of blood and injection phobia and anxiety response patterns in clinical patients. Behav Res Ther. 1991;29:323-332.

10. Re D, Del Fabbro M, Karanxha L, Augusti G, Augusti D, Fessi S, Taschieri S. Minimally-invasive dental anesthesia: Patients’ preferences and analysis of the willingness-to-pay index. J Invest Clin Dent. 2017;00:e12275.

11. Kleinknecht RA, Klepac RK, Alexander LD. Origins and characteristics of fear of dentistry. J Am Dent Assoc. 1973;86:842-848.

12. Sokolowski CJ, Giovannitti JA Jr, Boynes SG. Needle phobia: Etiology, adverse consequences, and patient management. Dent Clin North Am. 2010;54:731-744.

13. Willershausen B, Azrak A, Wilms S. Fear of dental treatment and its possible effects on oral health. Eur J Med Res. 1999;4:72-77.

Continuing Education Quiz

Anesthesia in the endodontic practice — reducing the fear of

“the

shot” GLASSMAN

1. ________ is the medical term for fear of receiving an injection.

a. Trypanophobia

b. Thalassophobia

c. Tonitrophobia

d. Trypophobia

2. The STA is in the category of _______.

a. M-CLAD — manually controlled local anesthetic delivery

b. C-CLAD — computer controlled local anesthetic delivery

c. PGRS — pistol grip and rachet system

d. RSDS — rotating syringe delivery system

3. _______ is a valid consideration for units such as this (in the C-CLAD category).

a. Price

b. Complexity

c. Weight

d. Amount of anesthesia

4. Speed of anesthetic delivery is a concern as an injection that is performed too fast may distend the soft tissues too quickly and lead to ________ compared to a slow measured delivery.

a. increased discomfort for the patient

b. infection

c. delivery of too little anesthetic

d. widespread numbness

5. (For the STA) The technology allows the anesthetic to be precisely administered to just the treatment site — allowing for complete numbness of the tooth being treated, while eliminating the numbing and morbidity effect on the _______.

a. cheek

b. lip

c. tongue

d. all of the above

6. As with any dental technology, there are some contraindications. ________, the area would not become sufficiently anesthetized.

a. For single teeth

b. For mandibular anterior teeth

c. For severe periodontal cases with deep pockets

d. For patients who are sedated

7. ____________, some dentists report overuse injuries to their wrists

Each article is equivalent to two CE credits. Available only to paid subscribers. Free subscriptions do not qualify for the CE credits. Subscribe and receive up to 16 CE credits for only $149; call 866-579-9496, or visit https://endopracticeus.com/ subscribe/ to subscribe today.

n To receive credit: Go online to https://endopracticeus.com/continuingeducation/, click on the article, then click on the take quiz button, and enter your test answers.

AGD Code: 340

Date Published: December 20, 2024

Expiration Date: December 20, 2027 2 CE CREDITS

and hands because of the pushing and pulling of the wrist while injecting.

a. With the use of a M-CLAD device

b. With repeated use of a traditional syringe

c. With Dynamic Pressure Sensing (DPS) technology

d. With inferior alveolar nerve blocks

8. According to Ost, _________ of patients who had injection phobia could trace their fear back to negative conditioning from a healthcare experience.

a. 25%

b. 38%

c. 56%

d. 84%

9. Moreover, _______ of patients could trace their fear to having seen another child, often a sibling, experiencing a negative event (i.e., painful or traumatic) associated to needles.

a. 6%

b. 24%

c. 45%

d. 67%

10. A number of studies investigating the origin of dental fear have been published. Most of them indicate needle phobia as the primary etiological factor, potentially leading to avoidance of dental treatment.

a. True

b. False

To provide feedback on CE, please email us at education@medmarkmedia.com Legal disclaimer: Course expires 3 years from date of publication. The CE provider uses reasonable care in selecting and providing accurate content. The CE provider, however, does not independently verify the content or materials. Any opinions expressed in the materials are those of the author and not the CE provider. The instructional materials are intended to supplement, but are not a substitute for, the knowledge, skills, expertise and judgement of a trained healthcare professional.

The art of hiring and firing for your dental practice

Kristin Tauras, JD, discusses how to establish a detailed hiring process and how to fire staff that are detrimental to your practice

There is a common saying in employment law: hire slowly, fire quickly. While in a perfect world, the employer would have the luxury of slowly sorting through a dozen applications, there is a shortage of workers capable and willing to work in a dental practice. The tendency is to hire quickly before the candidate gets away and a hesitation to terminate a poorly performing employee, which is the opposite of the spirit of the legal employment practices.

Despite the seemingly limited job market, the rule of hire slowly and fire quickly is vitally important, especially for private dental providers. The decision goes beyond dental capabilities to who you want to work with you, who you trust to greet and treat your patients, who will be a good fit for your practice, and who will be around in the future.

Hire slowly

You want to make sure the candidate has the qualifications (licenses or skills) that you need, fits well into your dental office environment, and will be around long enough to be of value to you. A rushed decision could mean hiring someone who has the desired technical expertise, but lacks the interpersonal skills needed to work in a small office environment or engage with patients. Or, a rushed decision could mean hiring someone that has fantastic people skills, but is unable to remain focused on the job, lacks the needed skills, cuts corners, and does not work well in stressful situations or confined spaces.

The hiring slowly principle does not mean to spend weeks or months before deciding to hire a candidate. It means to be both intentional and thorough in your hiring practices.

Posting

The hiring slowly process begins with recruiting talent. Whether you are posting an opening or responding to inquiries regarding hiring, make sure that you understand what you are

Kristin Tauras, JD, is a partner in the law firm of McKenna Storer in Chicago, Illinois. She has a litigation practice in the areas of employment law, insurance coverage, and professional malpractice. McKenna Storer is a full-service law firm providing legal services to individuals and small-to-midsize companies, including defending professional malpractice negligence lawsuits and Illinois Department of Professional Regulation investigation, as well as advising dental and medical professionals regarding business and employment matters.

Educational aims and objectives

This self-instructional course for dentists aims to educate readers on the risks and complications of hiring and firing staff or associates in the dental practice.

Expected outcomes

Endodontic Practice US subscribers can answer the CE questions by taking the quiz online at endopracticeus.com to earn 2 hours of CE from reading this article. Correctly answering the questions will demonstrate the reader can:

• Identify key details that should be included in a job post.

• Realize what details applications legally should or should not contain.

Identify red flags that may come up in an interview, regarding demeanor or prior experience.

• Realize the legal aspects and employer’s responsibilities for a “working interview.”

• Identify background checks that should be a part of the hiring process.

• Define reasons for firing quickly and how to avoid the legal ramifications of firing an employee who is not a good fit for your office.

2 CE CREDITS

looking for in a candidate and clearly convey that message. If you do not have a job description of the role you are attempting fill, now is a good time to create a written description. You should post every license and skill that individual must have along with other job requirements and consider posting every desired quality the individual should have. Obviously, you

want your dental professionals to have the license or certification required in your state, and your office personnel to have basic computer knowledge, but also consider what other qualifications you want the individual to have. Some examples include, prior experience, ability to work with children, experience working with the elderly and disabled, experience in a medical or dental office, ability to work in small confined spaces, ability to take direction, experience with charting, and experience with submitting insurance documents.

Applications

You should check with an attorney in your state to verify that your application process complies with your state laws. Do not assume that the application you used for the last several years complies with today’s employment laws. The laws are continuously evolving.

At a minimum, your application should include a place for providing information regarding the following:

1. name and contact information

2. the position the applicant is seeking

3. prior employment history

4. work-related experience

5. education

6. licenses

7. computer/charting proficiency

Your application should also provide a signature line for a verification, stating that the applicant attests that the information they are providing is true and accurate. This will make it easier to withdraw an offer or terminate a person if the information is found to be false.

What you should not ask is more complicated.

More than half the states now have a “ban the box” law, which are laws that prohibit requesting information on an application regarding criminal arrests and convictions.1 Many states also have laws regarding salary history as a means to remediate discrimination in wages.2 The Equal Pay Act (EPA) is another federal employment law giving employees a private right to action for discriminatory pay.

You should also avoid questions that may reveal whether an applicant is a member of a protected class under federal and state equal employment opportunity laws. Many states have laws against disclosing a disability, race, or other historically discriminating categories on a job application. Even in states that do not specifically prohibit this inquiry on the job application, the inquiry into protected classifications may be used as evidence of discrimination. See for example, Title VII of the Civil Rights Act of 1964 (Title VII) (a federal law that prohibits employment discrimination based on race, color, religion, sex, or national origin); The Americans with Disabilities Act (ADA) (a federal law prohibiting discrimination on the basis of actual or perceived disability), and Age Discrimination in Employment Act (ADEA) (a federal law prohibiting discrimination against people over the age of 40).

Use the interview as a time to observe the person’s demeanor, interest level, interactions with others, and how they fit within your office dynamics.”

Interviewing

The interviewing process is vitally important. The inclination is to leave hiring to the office manager, but you should be involved in the interview. Today, most initial screening interviews are done over the phone or through Zoom to determine if the person meets the initial criteria for the job. At this point, you should know enough about the candidates: their educational level, whether they are credentialed, years of experience, and whether they have an interest to work in the location for the hours/days required and the salary range.

Use the interview as a time to observe the person’s demeanor, interest level, interactions with others, and how they fit within your office dynamics.

If the applicants are for a dental professional, ask about the history of their license, whether they have had any disciplinary actions and the status of the actions, lawsuits and claims, whether they currently have insurance and who their current provider is, and whether there is any reason they would not be insurable. Pay close attention to someone who has had several jobs over a short time period or someone who was until recently practicing in a different state. There may be legitimate reasons for the changes, but this could be a red flag that the person is no longer licensed in another state, has had issues in that state, or has a history of job jumping.

If the applicant is an office professional, ask about their experience working in a dental or medical office. You will also want to gauge their understanding of HIPAA and the need to maintain medical and financial privacy. Asking open-ended questions such as, “what was the least pleasant dental experience you have had” and watching the person’s reactions as well as words will disclose information about the person who you are hiring. The same details are important to find out about your office staff as well. Your receptionist may be the first and last contact any patient has with your office; you want it to a positive one.

During the interview, you should make it known if an offer of employment is conditioned on drug screening, criminal background check, or financial background check. This will give the applicant the opportunity to front any issues and decide whether they want to move forward in the hiring process, which may save you from the time and cost associated with background checks.

Working interview versus skills assessment

The working interview is tricky, but may be necessary. You can ask a dental professional to demonstrate their technique, but if you receive compensation for their work, or if they spend time

doing actual work, then you may be required to compensate them for their work.3 (Some dentists find working interviews beneficial because they offer the opportunity to assess the candidate’s technical and interpersonal skills.) Negotiate this in advance if you are asking them to work. You should also check with your malpractice provider and workers compensation provider to verify that the “working interview” is covered by insurance.

References

You should ask for references, but recognize that most people will only provide references from individuals who they know will give a positive reference. Pay attention to what references are not there — especially if none of the references are from recent employers. You should contact the references listed. You should also verify that the references are true references.

Background checks/drug testing

If you use background checks and drug testing, make sure that the candidate knows up front that any job offer will be provisional on a background check and drug test.

Criminal background check: Many states require a written authorization prior to doing a background check. You should follow your state laws before conducting any criminal background check and in determining how to use the information. It is a violation of civil rights to request a background check because of someone’s race.4

Financial background check: Under the Federal Fair Credit Reporting Act (FCRA), the applicant must sign an authorization, and the FCRA notice must be provided on a stand-alone document (not part of the employment application). There are several nuances to this law that should be discussed with an attorney before deciding whether you need this information.

Licensing check: Most states have websites where the public can find information related to licensing renewals and disciplinary actions, such as suspensions and revocation of license. You should never forgo reviewing the licensing information available. If anything is flagged during the search, you should make an inquiry regarding the issues prior to offering employment. You should also inquire about whether there have been any pending investigations, findings, and suspensions of the professional’s Drug Enforcement Administration (DEA) license.

Drug screening: States have different laws related to drug screening. It is vitally important to check with your state’s laws prior to requesting that the applicant submit to a drug screening. This is especially true in states that have legalized the use of cannabis. Where drug screening is permitted, you should use the state-specific drug screening authorization form and follow the state-specific protocol for responses if the drug screening is positive.

Internet and social media: A Google search should not be your only review of an applicant, but it may provide useful information. You may see red flags, such as the sharing of offensive comments or conduct. You may see that there were employers the applicant left off. It may also disclose a person’s tendency to post negative reviews of employers. Or, it may show a person that has a professional footprint.

Decision

When you have all the information, you still need to make the decision whether to hire the applicant. Be thorough in the reasons you want that person to be your employee or not.

Your considerations should include considering both the individual and your needs.

First, does the candidate have the skills and level of experience you need? If the employee has the skills, but lacks the experience, will you be in a position to train the employee while still maintaining office efficiency while the employee gains the experience? Do you have the time and patience to train a newer professional? Be realistic. A recent graduate from a prestigious university may seem appealing, but a person from an established practice may be a better fit for your office. Then again, even a person with years of experience would not be a good fit if you do not agree with their approach to patients or treatment.

Second, does the candidate have a personality that fits well with the office? Does the person interact well with others? Does the person seem like someone you and your patients can communicate with? Most dental and medical offices strive to have a calm environment, beginning with the person who greets the patients, to the professionals who perform the work, to the person who ultimately schedules the follow-up visits and billing. You do not want the environment to be disrupted by having someone join who is caustic, negative, or standoffish. Assume

You should ask for references, but recognize that most people will only provide references from individuals who they know will give a positive reference.”

that the person who came to the interview is that person on the best day. Try to imagine how that person will fit in with your vision for the office.

Third, will the candidate stay? If you follow the hire-slowly principle, you will have already invested time in this candidate. Is there anything in their work history or personality that would lead you to believe that the individual is viewing this position as a stepping stone? You will want to have an employee whom you believe will be around in the long run to make your time and efforts pay off.

Fire quickly

Firing quickly means to take swift action when it is apparent that the employment relationship is not working. For most, it is a difficult decision to fire someone. You have invested time into hiring and training the employee. It is hard to admit that you made a mistake or that it is not working out, especially if you have grown fond of the employee. It is not an easy decision, but if you are considering it, it is probably a necessary decision.

Do not delay in terminating once the reason is apparent. There are several reasons why this should be done swiftly.

Productivity

If an employee is not performing up to your standard, it will negatively impact productivity for both that employee as well as those around the office. It may be that the individual did not have the level of training or experience you believed they had, or needs more training and guidance than you have the time to give. Mistakes can be costly for you and your patients.

Office Culture

It is often said that one bad apple can ruin the bunch. The same is true of one toxic employee. Most dental practices are small enough that one employee can adversely affect office culture. If an employee is not fitting in well to the office culture or is unintentionally or intentionally sabotaging the office dynamics, it makes sense to act swiftly. Similarly, although more subtle, a person who is not pulling their own weight, arriving late, and making errors, will also negatively affect the office dynamics.

Cost

It is expensive to hire, train, and retain good employees. But, it is expensive to have a non-performing or disruptive person in the office. You should not spend time and money on further training someone who is not a good fit for your practice. The money, time, and energy spent trying to train and develop an underperforming employee diverts resources and attention from those who are, and may cause you to lose valuable employees and patients.

Reputation

Most dental offices rely upon repeat business and referrals. Most people do not take the time to research their dental practitioner, but will rely upon their dentist or neighbor in determining

who to see. You cannot afford to have your reputation tainted by one poor employee.

Malpractice

Most obviously, you should terminate someone who is not meeting the appropriate standard of care. This could cause you both financial and reputation harm. But you should also terminate someone who does not meet the standard of decency in their interactions with patients. Someone who is unhappy with the dental procedure performed may sue, but someone who was also treated poorly by the person performing that service is more likely to sue.5 Anyone can make a mistake, but not everyone will know when a mistake was made, how to correct the mistake, and how to treat others.

Other liability

Employers may be held liability for the sexual harassment, discriminatory acts and, in some cases, the criminal acts of its employee. See Title VII, 42 U.S.C. 2000e, employer liability. This liability may extend to liability for acts against co-employees, venders, and patients. Terminating the offending employee may avoid or lessen civil liability.6,7,8

One caveat to the fire quickly rule: If you have a contract or the employee is a member of a union, you need to make sure you follow the steps set forth in the contract prior to termination (such as notice requirements or termination for cause provisions). In those situations, you should contact your attorney for guidance for how to best terminate.

Best practice

Hire with intention people who meet the criteria and fit within the office’s needs and culture. Do not be afraid to fire if the employee is unable to meet the standards or does not work well within your office. Making good choices and following the guidance as discussed above can avoid possible legal risks and lead to a more positive office environment and a stronger practice team.

EP

REFERENCES

1. Ban the Box: U.S. Cities, Counties, and States Adopt Fair Hiring Policies, https:// www.nelp.org/insights-research/ban-the-box-fair-chance-hiring-state-and-local-guide. Accessed October 21, 2024.

2. HR Dive. Salary History Bans. https://www.hrdive.com/news/salary-history-ban-stateslist/516662. Updated May 8, 2024.

3. American Dental Association. Recruiting: Working Interviews vs. Skills Assessments, https://www.ada.org/resources/practice/practice-management/10_recruiting_working_interviews. Accessed October 21, 2024.

4. Federal Trade Commission Consumer Advice. Employer Background Checks and Your Rights. https://consumer.ftc.gov/articles/employer-background-checks-your-rights. Published August 2023.

5. Pour H, Subramani K, Stevens R, Sinha P. An overview of orthodontic malpractice liability based on a survey and case assessment review. J Clin Exp Dent. 2022 Sep 1;14(9):e694-e704.

6. Cornell Law School Legal Information Institute. 42 U.S. Code § 2000e – Definitions. https://www.law.cornell.edu/uscode/text/42/2000e. Accessed October 21, 2024.

7. Society for Human Resource Management (SHRM).Employment Law 101. Employer Liability for Sexual Harassment. https://www.shrm.org/topics-tools/news/employment-law-101-employer-liability-sexual-harassment. Accessed October 21, 2024.

8. U.S. Equal Employment Opportunity Commission. Enforcement Guidance on Harassment in the Workplace. https://www.eeoc.gov/laws/guidance/enforcement-guidanceharassment-workplace. EEOC issued a new guidance on April 29, 2024.

Continuing Education Quiz

The art of hiring and firing for your dental practice TAURAS

1. Despite the seemingly limited job market, the rule of ________ is vitally important, especially for private dental providers.

a. hire quickly and fire slowly

b. hire slowly and fire quickly

c. hire infrequently and fire infrequently

d. hire additional employees so you don’t have to worry about replacing them

2. You want to make sure _________.

a. the candidate has the qualifications (licenses or skills) that you need

b. fits well into your dental office environment

c. will be around long enough to be of value to you

d. all of the above

3. (When creating a job description) You should post every license and skill that individual must have along with other job requirements and consider posting every desired quality the individual should have.

a. True

b. False

4. More than half the states now have a “ban the box” law, which are laws that prohibit requesting information on an application regarding __________.

a. criminal arrests and convictions

b. recent real estate transactions

c. retail debt

d. former employers

5. The is another federal employment law giving employees a private right to action for discriminatory pay.

a. Health Insurance Portability and Accountability Act (HIPAA)

b. Equal Pay Act (EPA)

c. Working Interview Act (WIA)

d. Federal Fair Credit Reporting Act (FCRA)

6. (When hiring) If the applicants are for a dental professional, ask about the history of their license, _______, and whether there is any reason they would not be insurable.

a. whether they have had any disciplinary actions and the status of the actions

b. lawsuits and claims

c. whether they currently have insurance and who their current provider is

d. all of the above

Each article is equivalent to two CE credits. Available only to paid subscribers. Free subscriptions do not qualify for the CE credits. Subscribe and receive up to 16 CE credits for only $149; call 866-579-9496, or visit https://endopracticeus.com/ subscribe/ to subscribe today.

n To receive credit: Go online to https://endopracticeus.com/continuingeducation/, click on the article, then click on the take quiz button, and enter your test answers.

AGD Code: 550

Date Published: December 20, 2024

Expiration Date: December 20, 2027

7. During the interview, drug screening, criminal background check, or financial background check.

a. you should not mention the upcoming

b. you should make it known if an offer of employment is conditioned on

c. you should let another member of the staff bring up the possible

d. you should surprise the candidate with the

8. (For a working interview) You can ask a dental professional to demonstrate their technique, but if you receive compensation for their work, or if they spend time doing actual work, _______.

a. then you may be required to compensate them from their work

b. you definitely are not required to compensate them for their work

c. you should not tell them that you are being compensated for your work

d. you should not negotiate possible compensation with them in advance

9. You should who is not a good fit for your practice.

a. spend more time and money to provide extra training for someone

b. not spend time and money on further training someone

c. have an office meeting to discuss the employee

d. give at least 6 months’ probation to an employee

10. Employers may be held liable for the sexual harassment, discriminatory acts and, in some cases, the criminal acts of its employee.

a. True

b. False

To provide feedback on CE, please email us at education@medmarkmedia.com

Legal disclaimer: Course expires 3 years from date of publication. The CE provider uses reasonable care in selecting and providing accurate content. The CE provider, however, does not independently verify the content or materials. Any opinions expressed in the materials are those of the author and not the CE provider. The instructional materials are intended to supplement, but are not a substitute for, the knowledge, skills, expertise and judgement of a trained healthcare professional.

EdgeOne Blaze Utopia™: a must-have for every general dentist and endodontist

Dr. Biraj Patel discusses an innovative endodontic file system

As dentists, we constantly strive to deliver the highest standard of care when providing root canal treatments. A pivotal tool in our armamentarium that bridges the gap between routine procedures and more intricate cases is the EdgeOne Blaze Utopia™ system. This innovative endodontic file system offers a combination of simplicity, advanced technology, and safety, making it indispensable for both general dentists and endodontists alike.

Simplicity for every practice

For most dentists, performing root canal treatments can sometimes seem daunting, especially when faced with complex canal anatomies. This is where the EdgeOne Blaze Utopia™ shines. It is designed as a single-file reciprocating system, which simplifies the procedure without sacrificing clinical outcomes. Instead of relying on multiple files to prepare the canal, after the creation of a glide path, the R25 Primary file can navigate most canals with ease. Additional file sizes such as R20, R35, and R45 are available to accommodate varying canal anatomies, providing flexibility and precision across a range of cases. The R20 excels in tighter canals, while the R35 and R45 are ideal for larger ones.

The reduced shank length makes accessing posterior teeth much easier. As someone who deals with posterior cases on a regular basis, this small but significant design feature enhances workflow and saves valuable chair time.

The simplicity of the EdgeOne Blaze Utopia™ reduces the learning curve, making it ideal for general dentists who may not perform root canal treatments frequently. The reciprocating

motion of the system also minimizes file stress and reduces the risk of separation, providing an added layer of safety.

Flexibility with FireWire Blaze technology

One of the most remarkable aspects of the EdgeOne Blaze Utopia™ system is its use of FireWire Blaze heat-treated NiTi alloy. This advanced material offers exceptional flexibility, allowing the file to navigate even the most challenging canal anatomies with ease. Sharp curvatures, calcified canals, and other difficult cases become much more manageable, thanks to this file’s ability to maintain its shape and sharpness over time.

The FireWire Blaze technology improves outcomes across all root canal treatments. The increased flexibility and durability of the files translate into more predictable and reliable results. As the files retain their sharpness longer, their efficiency in clinical practice improves, making EdgeOne Blaze Utopia™ a valuable tool for routine and challenging cases alike.

Enhanced safety and efficiency

One of the key features that sets the EdgeOne Blaze Utopia™ apart from other systems is its reverse reciprocating motion. This motion significantly reduces file stress, minimizing the risk of separation and enhancing the safety of the procedure. The S-shaped cross section of the files also improves debris removal, ensuring thorough cleaning and shaping of the canal.

Biraj Patel, BDS, MS, is an American-trained endodontist. He received his dental degree from the University of Birmingham (United Kingdom). He then worked in private practice and as a specialty dentist in restorative dentistry at the Birmingham Dental Hospital/University of Birmingham. Dr. Patel was selected from over 250 highly qualified applicants in the U.S. and globally to undertake his U.S. specialist training in endodontics at the world renowned University of Texas Health Science Center San Antonio (UTHSCSA), earning his certificate and masters. Upon completion of his endodontic training, he worked in specialist endodontic practices in the U.S. He has chosen to return to London and join the prestigious Harley Street Centre of Endodontics. Dr. Patel has also presented and won awards at multiple international conferences and is an author of numerous scientific publications. Furthermore, he serves as a reviewer for several journals and is part of the Scientific Advisory Board of the Journal of Endodontics. He continues to publish in endodontic literature, as well as holding an adjunct professor position in the department of endodontics at the UTHSCSA. He is involved in training future endodontists and lectures internationally. EP

For both general dentists and endodontists, this system provides greater control and minimizes the risk of procedural errors, particularly in more complex cases. The combination of simplicity, safety, and efficiency makes root canal treatments less intimidating for general practitioners and more streamlined for specialists.

Conclusion: a tool for every practice

The EdgeOne Blaze Utopia™ can enhance the efficiency of your root canal treatments, improve clinical outcomes, and allow you to gain greater confidence in delivering high-quality care.

This information was provided by EdgeEndo.

Integrating AI in dental practices

Gary Salman explains how to reap the benefits of AI more safely

As artificial intelligence (AI) continues to permeate various healthcare sectors, dental specialty practices such as orthodontics, endodontics, implants, and pediatric dentistry stand to benefit significantly from its integration. AI offers vast potential to enhance diagnostics, streamline patient management, and boost operational efficiency. However, with these advancements come critical considerations around patient data protection and regulatory compliance as well as the need to maintain compliance with the Health Insurance Portability and Accountability Act (HIPAA) security and privacy rules.

The

benefits of artificial intelligence

1. Enhanced diagnostics and patient care

AI has revolutionized diagnostic processes by leveraging machine-learning algorithms to analyze complex datasets, such as radiographic images. This technology can assist in predicting tooth movement and treatment outcomes, enhancing the diagnostic accuracy of decay and anomalies in x-rays, and monitoring patient treatment progress.

2. Streamlined patient management

The automation of routine administrative tasks that AI can handle, from appointment scheduling to patient follow-ups, frees up valuable time for dental professionals to focus on patient care. It also facilitates better patient communication through personalized reminders and post-treatment care instructions, enhancing patient satisfaction and engagement.

3. Operational efficiency

AI tools can optimize inventory management and predict patient flow, leading to better resource allocation and reduced operational costs. Predictive analytics can also take multiple data inputs from systems such as practice management, financial reporting, and insurance claims to identify areas where your practice could improve for growth.

Gary Salman is CEO and co-founder of Black Talon Security (www.blacktalonsecurity.com). A leader in the cybersecurity field, Gary has a 25+ year background in law enforcement and healthcare technology. His firm monitors and secures approximately 50K computers and networks worldwide and has trained tens of thousands of dental and other healthcare professionals.

Protecting patient records and ensuring HIPAA compliance

With the integration of AI, safeguarding patient information becomes paramount. Dental practices must adhere to HIPAA regulations, which mandate the protection of individual health information. Here are key considerations:

• Data storage and flow: Encrypt all stored and transmitted patient data to prevent unauthorized access. This ensures that even if data is intercepted, it remains unreadable to unauthorized individuals. AI often requires your data to be analyzed and stored in many places at a given time. This creates additional risk for your practice, because the bigger your digital footprint, the bigger the risk. Some AI applications can store your data on 3-4 different server networks at a given time.

• Data access controls: Implement strict access controls, ensuring that only authorized personnel have access to sensitive information. Use multi-factor authentication to add an extra layer of security. Many AI companies either purposely or inadvertently share your patient data, with or without your permission. Ask the AI company for their policies for data sharing and retention.

• Regular internal and external audits: Conduct regular security audits to identify vulnerabilities and ensure compliance with HIPAA standards. Internal audits help maintain the integrity of the data protection mechanisms put in place within your practice — but don’t neglect third-party risk. Unfortunately, many AI companies are still in “start-up” mode. Often hiding behind a “HIPAA Compliant” badge, they may fail to have anything more than basic security precautions in place to protect your patient data, putting you at a tremendous risk in the event of a breach.

Best practices for cybersecurity

To protect against cyber threats, dental practices should adopt comprehensive cybersecurity measures so they can identify and mitigate cyber risk. The “Cybersecurity Standard of Care for Dental Practices” includes the following:

• Vulnerability identification and remediation: Hackers use sophisticated tools to identify vulnerabilities on your firewall and computers and leverage these weaknesses to break in and exploit your network. Cybersecurity companies offer sophisticated tools that scan your computers and firewalls daily looking for these exploitable vulnerabilities. The more sophisticated scanners not only identify the vulnerabilities on the computers but can autonomously remediate them.

• Staff cyber training: Educate staff on cybersecurity best practices, including recognizing phishing attempts and safe internet usage. Regular training sessions will help maintain a security-conscious culture within the practice. To be HIPAA compliant, this must be an ongoing, documented process, not a quick “over lunch” conversation. Seek out cybersecurity companies that offer comprehensive training and understand the unique vulnerabilities in workflows of dental practices.

• Penetration testing: An ethical hacker should be attempting to break into your network at least twice per year to test the defensive measures of your network. This test should not be performed by your IT company, but an independent cybersecurity company.

• Incident response plan: Develop a written response plan for potential cyberattacks or any emergency that could disrupt your practice. This plan should outline the steps for containment, investigation, and communication to minimize the impact of the emergency. Rehearse the plan annually to ensure all team members know their role when responding, and to evaluate for any needed improvements to the plan.

• AI-based anti-virus: Utilize more advanced anti-virus software that leverages AI to detect and fight back against more sophisticated attacks. This software must be managed and watched 24/7 by security engineers to be most effective.

Practical steps for successful AI integration

1. Choosing the right AI tools

Select AI solutions that meet the specific needs of your practice. Evaluate various tools based on their functionality, ease of integration, and compliance features. Consider solutions that offer seamless integration with existing systems and have a proven track record in the dental industry. Ask to review their third-party cybersecurity evaluation and HIPAA risk assessment. You don’t want their breach to become your breach.

2. Staff adoption

Ensure that your team is well-prepared to work with AI technologies. Comprehensive training and documented processes will facilitate a smoother transition in their workflows and help staff understand the benefits, risks, and limitations of AI tools. Staff should always use caution when uploading any data that contains confidential information such as employee or patient data into these systems. You may be violating State and Federal laws without realizing it.

3. Ask for a proof of concept

The best way to assess if adding AI to your practice will provide value is to ask for a 90-day proof of concept period to fully understand how it will function. However, you’ll want to be sure you have reviewed their data handling and security protocols prior to giving the tool access to your data.

Balancing advanced technologies with data security

Integrating AI offers transformative benefits, from improved diagnostics to enhanced operational efficiency. However, this technological advancement requires a balanced approach that prioritizes patient data protection and regulatory compliance. By implementing robust cybersecurity measures and choosing the right AI tools, dental specialty practices can harness the power of AI successfully. As AI continues to evolve, embracing these technologies while maintaining vigilance over data security will ensure that your practice remains both innovative and compliant in its operations. EP

Integrating AI offers transformative benefits, from improved diagnostics to enhanced operational efficiency. However, this technological advancement requires a balanced approach that prioritizes patient data protection and regulatory compliance.”

Whether your patient data resides in the cloud or on a local network, the inherit risks are the same. You need the expertise of Black Talon’s cyber specialists and the visibility our EAGLEi® cyber risk management platform provides to protect your practice from a costly attack.

SECURE YOUR PRACTICE WITH A

Where memory meets flexibility

With excellent flexibility for up to 90º curves, ZenFlex CM files combine high cutting efficiency with superior resistance to cyclic fatigue and file separation

Like many of his peers, Dr. Rico Short was trained on using hand files for root canals and never thought the wiser — that is, until rotary files came onto the scene.

“I remember when rotary files first came to market and people were like, ‘Are you crazy? That’s never going to work,’” recalled Dr. Short, a board-certified endodontist in Smyrna, Georgia. “Those first-generation rotary files were really stiff. They definitely took the stress out of our fingers, but if there was a round curved canal, a lot of them would break and separate. You were on pins and needles every time you used one, wondering whether it was going to come out in one piece.”

But over time, as nickel-titanium (NiTi) technology advanced and heat treatment was introduced, rotary files became increasingly more flexible, safe, and strong. “We no longer need to take a deep breath every time we’re using one,” said Dr. Short.

Controlled memory in the driver’s seat

Today, Dr. Short equates rotary files to driving a car with power steering, and for many years, his vehicle of choice has been Kerr’s ZenFlex NiTi rotary shaping file system. He recently added the new ZenFlex CM files to his routine, which leverage a proprietary metallurgy and heat treatment design that make them remarkably resistant to both cyclic fatigue and file separation.

“The new ZenFlex CM file is even better than the original,” he shared. “I love having the ability to pre- curve it, which is great for accessing tight areas, and the cutting efficiency and flexibility of the files are excellent. I don’t have to worry about them breaking easily, and I think that’s what makes them stand out from other systems.”

Rico D. Short, DMD, BCE, FICD, graduated from the Medical College of Georgia School of Dentistry in 1999 and completed his endodontic residency at Nova Southeastern University. He has performed externships in apical microsurgery at Miami Children’s Hospital and Universidad Autonoma de Tlaxcala in Tlaxcala, Mexico. Dr. Short has published research in the Journal of Endodontics and has appeared in several media publications discussing endodontic treatment. He serves as an expert endodontic consultant to the Georgia Board of Dentistry and is an associate clinical professor at the Medical College of Georgia School of Dentistry.

Disclosure: The opinions expressed in this article are those of Dr. Short, who is a paid consultant of Kerr. Clinicians should use their own professional judgment in treating their patients. Kerr is a medical device manufacturer and does not dispense medical advice.

The ZenFlex CM file system is offered in comprehensive tip sizes from 0.13 to 0.30 mm and .04 and .06 taper configurations — an upgrade that Dr. Short finds particularly useful.

“The new tip sizes are very unique and offer more incremental steps between sizes,” he said. “Most file systems stop at 0.15 mm, but this one has 0.17-mm, 0.15-mm, and 0.13-mm sizes, which makes it a much smoother transition — especially when you’re dealing with very small canal systems and a really tight apex.”

A smoother workflow

Since opening Apex Endodontics 20 years ago, Dr. Short has treated countless patients in his practice, including some notable celebrities. “It’s a pretty fast-paced office, so we need to have file systems and equipment in place that match the efficiency and quality we provide to our patients,” he said, adding that he’s seen many patients’ dental IQs skyrocket in recent years. “We want to make sure we’re using the latest technology because our patients demand that.”

By and large, the curve of ZenFlex CM files affords Dr. Short a much smoother worklow versus other less flexible file systems. “We can take care of patients efficiently without losing quality,” he concluded.

Scan QR code at right to request a demo.

This article was originally published by Dental Product Shopper.

BUY 10 Packs of ZenFlex ONE Files, GET 5 Packs of ZenFlex ONE Files FREE!* For a

With the perfect balance of durability and high cutting efficiency. ZenFlex ONE gives you more confidence and a smooth finish you can trust.

High Cutting

Efficiency

Proprietary heat treatment and triangular cross-section design preserve the sharp cutting edges of the flute that lets you reach full working length with less resistance and more control during the procedure.

Minimally Invasive

A maximum flute diameter of 1mm and a non-cutting tip work together to minimize transportation and preserve the tooth’s structural integrity.

Exceptional Strength

Superior resistance to failure, minimizing file breakage.

Corresponding Gutta Percha and Paper Points

Gutta percha and paper points match canals shaped by ZenFlex ONE Reciprocating files.

“I

liked the ZenFlex ONE system because of its better cutting ability and flexibility. I felt more confident instrumenting with this system.”

- Dr. Alma Cecilia Perez Pulido

honored. To receive your promotional goods, email or fax a copy of your authorized Kerr dealer invoice noting promo code ZFOMM23 and product(s) desired to: kerrpromo@kerrdental.com or FAX: 888.727.2614. Limit to 3 redemptions per location. Incomplete submissions will not be processed. Allow 8 weeks for delivery. Offers valid in the 50 United States only. Promotions are subject to change or cancellation without notice. Offer void if purchased product is returned and you will automatically be billed the full MSRP for any promotional product that you retain. Note that you may have an obligation under federal, state, or local law to reflect discounts on products given pursuant to this promotion on any cost report forms submitted to a federal or state government or private payer who provides reimbursement for that product. See it in Action Place your Order Today!

Defusing difficult conversations: Speak for your team, not for yourself

Drs. Joel Small and Edwin McDonald discuss decreasing potential conflict

“Joel, I have a meeting scheduled with one of my assistants tomorrow afternoon. She is continuing to perform poorly, and I am becoming increasingly frustrated. I have trouble with these types of conversations. I apologize for the short notice, but would you have some time today or early tomorrow morning to visit?”

As an executive leadership coach, the above request is common. I am often called upon to help clients prepare for difficult conversations that have the potential for conflict or emotional upheaval. High intensity/high stress conversations create anxiety as well as our tendency to assume the worst possible outcome. Entering a crucial conversation with a high degree of anxiety and a low expectation for a positive outcome will often become a self-fulfilling prophecy.

The best way to reduce the inherent stress of crucial (remedial) conversations and improve their outcome is to adopt a different perspective by reframing the entire experience. For example, I often ask my clients to imagine that they are a coach of a competitive sports team. A coach’s job is to ensure that they put the best possible team on the playing field. They do this by providing the knowledge, training, and support for creating a peak performing team. They also must ensure that their players support each other so the team can function at its best. No individual player, no matter how talented, is more important than the team, or indispensable. Too often we do our team a disservice by assuming that a certain staff member is indispensable even though they are disruptive and destabilizing.

Putting the best possible team on the playing field is a commitment that every successful coach makes to his or her players, and we, as practice leaders, must make the same commitment to our teams.

Practice leaders find themselves in a unique position due to their dual role as a team member and team coach. This critical distinction alters the dynamics of remedial conversations with disruptive team members.

My clients have found that they can greatly reduce the inherent anxiety associated with these remedial conversations when they speak both for the team and as a team member rather than for themselves. By doing so, they sense that they are serving a higher calling while fulfilling their obligation to the team and delivering on their commitment to having the best possible team. Furthermore, when speaking for the team you are making a clear statement that a disruptive team member’s behavior is not a personal issue with you. Instead, you are emphasizing how their aberrant behavior is negatively affecting the entire team.

Having a team-oriented approach when taking corrective action with staff will prove to be more impactful and have a better chance of achieving the desired results. Often, we tend to personalize the negative effects of a staff member’s poor attitude or performance. We see their behavior as a personal affront, and we increase the anxiety because of what we perceive as an impending contentious discussion. Frequently, our anxiety will either make us become overly emotional and/or aggressive or we will “sugar coat” the message making it ineffective. Either of these two scenarios will produce results that are less than desirable by sending the wrong message to the offending person.

Drs. Joel C. Small and Edwin (Mac) McDonald have a total of over 75 years of dental practice experience. Both doctors are trained and certified Executive Leadership Coaches. They have joined forces to create Line of Sight Coaching, a business dedicated to helping their fellow dentists discover a better and more enjoyable way to create and lead a highly productive clinical dental practice. Through their work, clients experience a better work/life balance, find more joy in their work, and develop a strong practice culture and brand that positively impact their bottom line. To receive their free ebook, 7 Surprising Steps to Grow Your Practice Through Leadership, go to www.lineofsightcoaching.com. EP

Seeing ourselves as the team spokesperson removes the personal nature from the encounter and allows us to view it as a conversation as opposed to conflict. Adding basic coaching skills by remaining curious and utilizing powerful questions will further diminish the potential conflict.

Clients that successfully reframed their role as a team spokesperson and utilize basic coaching skills have reported decreased anxiety and better results when confronted with corrective conversations with team members. They sense that making this change in perspective increases their leadership skill and improves how the staff views them as their team leader.

Odne™Clean: Introducing a new standard in root canal therapy

Advances in dental technology continue to push the boundaries of what’s possible in patient care. Recently, Odne™, a Swiss start-up, received FDA clearance for Odne™Clean — a device designed to streamline root canal cleaning. With a focus on simplifying complex processes and enhancing patient comfort, Odne™Clean is positioned to make meaningful contributions to the endodontic practice.

Odne™Clean’s unique approach

Root canal treatments, while essential, have often been accompanied by challenges such as patient discomfort and time-consuming procedures. Odne™Clean addresses some of these issues by introducing a hydrodynamic cavitation technique that uses saline solution (sodium chloride) as the main irrigation medium. This saline-based approach reduces the need for harsher chemicals typically used in root canal procedures, aiming to make treatments safer and potentially more comfortable for patients.

The device functions by generating a cavitation cloud within the root canal, which effectively removes debris from inside the canal and tubuli. Odne™Clean’s design includes a 200-micrometer tip — the narrowest fluid-delivery tip currently available for dental use — allowing practitioners to perform root canal cleaning that is minimally invasive (minimum preparation ISO 20.04). This preserves more of the tooth structure, aligning with a trend in dentistry toward less invasive treatments.

Engaging the community: the Priority Access Program

Odne™Clean recently received FDA clearance. Accompanying Odne™Clean’s launch is Odne™’s Priority Access Program (PAP), a clinical initiative that invites early adopters to contribute

to a growing body of knowledge on Odne™’s products. Through this program, participating endodontists have the opportunity to integrate Odne™Clean and other Odne™ devices (Odne™Fill and Odne™Cure) into their practices, offering critical feedback to help refine the device’s real-world use.

Odne™Fill is a light-curing, injectable, all-in-one endodontic material for root canal obturation. It forms a very tight interface with the hydrophilic dentin. Due to its water-like viscosity and the ultra-high hydrophilicity in its uncured state, it can reach the smallest endodontic structures. Odne™Cure is the micro-laser curing light to cure Odne™Fill directly in the root canal.

As part of PAP, Odne™ has established a clinical case registry that records experiences and feedback from practitioners using Odne™’s devices in various clinical settings. This registry supports ongoing research and provides a practical database for understanding Odne™Clean’s performance. Participants also gain access to training sessions to help them get the most out of the device and maintain high clinical standards.

By involving practitioners directly, Odne™ aims to foster a collaborative environment where feedback from the field informs future improvements. Andreas Schmocker, CEO and co-founder of Odne™, emphasizes the role of the Priority Access Program in “building strong clinical evidence” and in supporting Odne™’s mission to “transform endodontics with a passion for innovation and scientific and clinical excellence.”

Looking ahead with Odne Root Preservation Therapy (RPT)

Odne™Clean, Fill, and Cure represent a step forward in the evolution of root canal treatments. The Odne workflow accelerates root canal treatment and supports preservation of as much tooth structure as possible through its minimally invasive approach. As Odne™RPT gains traction among clinicians, it has the potential to transform root canal treatments.

This information was provided by Odne™.

Figure 1: Odne™Clean
Figure 2: Odne cleaning, filling, and curing tips

Specialized Dental Partners: Amplifying the voices of specialists and industry insiders

A journey of resilience from adversity to a trusted partnership

Dr. Al Jowid spent 27 successful years with his Dallas-based practice before facing an unexpected career shift. When his partners decided to sell the practice, the transition to a Dental Service Organization (DSO) led to operational changes he hadn’t anticipated. While initially manageable, over time, those changes disrupted the practice environment, and Dr. Jowid made the difficult decision to leave.

Although this period marked a challenging chapter in his career, Dr. Jowid didn’t dwell on it for long. Within weeks, he found relief in the idea of moving forward. He reflected, “In the grand scheme of things, worse things happen to people. You seek better and move toward it.”

It was that mindset, coupled with the support of trusted friends, that led him to explore a new opportunity with Specialized Dental Partners (SDP). At first, Dr. Jowid was hesitant, given his prior experience, but SDP’s approach quickly won him over. “It’s a partnership here, not a topdown management style,” he shared, emphasizing the importance of clinician autonomy within SDP’s collaborative model.

A pivotal moment came when he told his long-time staff about the transition. Reassuring them, he explained, “I didn’t sell out; I bought in.” With SDP, he was able to bring his experienced front desk team back on board, which was crucial for maintaining strong patient relationships and building his new practice. “They made the transition so much easier,” he said, underscoring how SDP’s support helped him rebuild without losing the essence of what made his practice special.

SDP’s commitment to fostering an environment where doctors retain control over their practices, while benefiting from business expertise and resources, gave Dr. Jowid the confidence he needed. From investing in top-of-the-line equipment to creating a culture of partnership, SDP’s focus on supporting clinicians made all the difference. “They’ve been incredibly supportive, allowing me to continue practicing the way I want, while knowing I have the backing of a strong team,” Dr. Jowid said.

Looking back, Dr. Jowid encourages other clinicians to embrace change and seek trusted partners like SDP. “Find people

you trust, and talk to them,” he advises. Through SDP, Dr. Jowid found not just a business partner, but a community of like-minded specialists dedicated to providing excellent patient care and driving growth in the dental field.

For doctors considering joining a DSO, Dr. Jowid’s story shows that positive partnerships exist — where autonomy, support, and collaboration create an environment where everyone thrives.

Energize your future today.

When it’s time to talk, talk to the first and only Specialty DSO with proven financial results and a supportive, growth-minded culture — talk to Specialized Dental Partners. We’re always in active discussions with top-tier endodontists, and we have openings for associates and recent graduates who are looking to start their careers at a flourishing practice. Learn more about Specialized Dental Partners by visiting specializeddental.com.

Cutting Edge File System with Flexibility and Strength

Strong to significantly increase resistance to cyclic fatigue. Heat treated NiTi enables the EXIMIA7™ file extreme flexibility reducing shape memory, preserving canal anatomy e ortlessly following the canal as you shape.

Matching Gutta Percha and Paper Points Available

• Heat treatment process improves strength and flexibility

• Available in .04 and .06 Constant Taper - Variable Pitch

•Maximum flute diameter 1mm allows for minimally invasive preparation

•Parabolic Cross Section non cutting tip maximizes file cutting efficiency

•ISO tip size 17-45

•Available lengths: 21, 25 & 29 mm

100% Satisfaction Guaranteed†

Heat Treated NiTi

Parabolic Cross Section

Available in 3 lengths: 21, 25 & 29 mm

Maximum flute diameter 1 mm

PURE-Ca-SEAL Part Number 22012

PURE-Ca-SEAL™ BioCeramic Endodontic Sealer a promising NEW option.

Turn static files into dynamic content formats.

Create a flipbook
Issuu converts static files into: digital portfolios, online yearbooks, online catalogs, digital photo albums and more. Sign up and create your flipbook.