

Lisa Alvetro, DDS, MSD
Daniel Bills, DMD, MS
Robert E. Binder, DMD
S. Jay Bowman, DMD, MSD
Stanley Braun, DDS, MME, FACD
Gary P. Brigham, DDS, MSD
George J. Cisneros, DMD, MMSc
Jason B. Cope, DDS, PhD
Bradford N. Edgren, DDS, MS, FACD
Eric R. Gheewalla, DMD, BS
Dan Grauer, DDS, Morth, MS
Mark G. Hans, DDS, MSD
William (Bill) Harrell, Jr, DMD
John L. Hayes, DMD, MBA
Laurence Jerrold, DDS, JD, ABO
Marc S. Lemchen, DDS
Edward Y. Lin, DDS, MS
Thomas J. Marcel, DDS
Mark W. McDonough, DMD
Randall C. Moles, DDS, MS
Elliott M. Moskowitz, DDS, MSd, CDE
Rohit C.L. Sachdeva, BDS, M.dentSc
Gerald S. Samson, DDS
Margherita Santoro, DDS
Shalin R. Shah, DMD
Lou Shuman, DMD, CAGS
Scott A. Soderquist, DDS, MS
John Voudouris (Hon) DDS, DOrth, MScD
Neil M. Warshawsky, DDS, MS, PC
John White, DDS, MSD
Larry W. White, DDS, MSD, FACD
Bradford N. Edgren, DDS, MS, FACD
Fred Stewart Feld, DMD
Gregori M. Kurtzman, DDS, MAGD, FPFA, FACD, FADI, DICOI, DADIA
Justin D. Moody, DDS, DABOI, DICOI
Lisa Moler (Publisher)
Mali Schantz-Feld, MA, CDE (Managing Editor)
Lou Shuman, DMD, CAGS
editorial focus of this issue is sleep and, importantly, the comorbid conse quences of sleep pathology. The most common sleep pathology is insomnia, the inability to get to sleep or to get back to sleep after arousal — the transi tion from deeper to lighter sleep via stimulation of the sympathetic nervous system associated with bruxism and orofacial pain. The relationship between chronic pain and sleep is profound. Sleep and pain have a bidirectional effect on each other. The less sleep people have, the more pain they feel, and chronic pain disrupts their sleep.1 Sleep complaints are present in 67% to 88% of chronic pain disorders,2,3 and at least 50% of individuals with insomnia suffer from chronic pain.4 The frequency of interrupted sleep relates to the degree of daytime fatigue, making the AI (arousal index) as or more important than AHI (apnea hypopnea index). Each time a person is aroused from sleep, cortisol is produced, which results in vascular oxidative stress (VOS) triggering vascular inflammation, the mechanism of cardiovascular disease. This is true for adults and children. VOS results in increased clotting of the blood, which leads to stroke and heart attack.
Chronic disturbance in sleep leads to psychosocial symptoms of anxiety and depression.5 Chronic pain is linked to depression.6 Though anxiety is not linked to TMD, findings show depression to be linked.7 Treating sleep-breathing disorders has been shown to reduce psychosocial symptoms.8
Unconscious collapse of the pharyngeal airway by obstructive sleep apnea (OSA) and central sleep apnea (CSA) are the most frequent sleep-breathing disor ders. The four components of OSA are critical pressure to collapse the pharyngeal airway: (P-crit), muscle tonus or recruitment, loop gain (response to apnea-transition to breathing), and arousal threshold (how long it takes be awakened to begin breath ing). P-crit and muscle tonus can be affected by oral appliances, surgery, medica tions, positive pressure, orthopedic development in children, and myofunctional therapy. Findings show that myofunctional therapy reduces OSA by 50% in adults and 62% in children.9 Loop gain and arousal threshold are neurologic conditions. CO2 sensitivity is the main factor in these mechanisms. They are treated with medi cations and nasal breathing training and exercises.
Dr. Christian Guilleminault, the seminal figure in sleep medicine and developer of the AHI system, stated that the ultimate goal in the treatment of sleep apnea is the transformation of oral breathing to nasal both day and night.10 The findings of soon to be published research reveal that nasal obstruction (specifically nasal valve compromise [NVC]) show a significant comorbidity with capsulitis (OR 3.73) and facial and cervical myositis (OR 6.97). NVC has been found to have an odds ratio of 6.97 comorbid with orofacial pain.
Proper orthopedic development should be started as soon as a breathing disor der is identified for optimal quality of life.
© MedMark, LLC 2022. All rights reserved. The publisher’s written consent must be obtained before any part of this publication may be reproduced in any form whatsoever, including photocopies and information retrieval systems. While every care has been taken in the preparation of this magazine, the publisher cannot be held responsible for the accuracy of the information printed herein, or in any consequence arising from it. The views expressed herein are those of the author(s) and not necessarily the opinion of either Endodontic Practice US or the publisher.
ISSN number 2372-8396
Steven Olmos, DDS, has been in private practice for more than 30 years with the past 25 years devoted to research and treatment of craniofacial pain and sleep-related breathing disorders. He obtained his dental degree from the USC School of Dentistry and is Board Certified in both chronic pain and sleep-breathing disorders by ABCP, ABDSM, and ABCDSM. Dr. Olmos is the founder of TMJ & Sleep Therapy Centres International with over 60 licensed locations in seven countries dedicated exclusively to the diagnosis and treatment of craniofacial pain and sleep disorders.
not afraid of greatness. Some are born great, some achieve greatness, and others have great ness thrust upon them.” – William Shakespeare
Each of us has our own idea of greatness. While some want to stand in the spotlight, others want to aim the spot light. It’s all a matter of perspective and how you choose to see the light. On the news and social media, we see people who have achieved success. Copycats abound — whether it’s wearing the same styles or seeking the same lifestyle. But what really is success? After so many years in the pub lishing business, I have seen many people, both doctors and nonclinical, achieve success. But the ones who achieve greatness have something in common. They don’t do what everyone else is doing. They find their passion, think outside of the box, and take calculated risks to reach their goals.
One of the most interesting parts of being a publisher is that I get to meet people and read articles by people who take calculated risks. In the dental business, that usu ally entails devising new techniques or products. Sometimes it seems that everything that could be invented has already been invented. Who would have thought that implants could have a success rate of up to 98% or that sleep-disordered breathing could be treated at a dental practice? Remember when braces were just metal wires, brackets, and bands? Now we can chose from lingual braces, 3D-printed brackets, clear aligners, and many other ways to create perfect smiles in less time than ever before. Endodontics also has come a long way too — lasers, files of different shapes, sizes, and materials, and cleaning and disinfection instrumentation that leads to less pain and positive outcomes. All thanks to dentists, scientists, and nonclinical people who saw a problem that needed not just a solution, but their solution.
In the fall issue, our innovative authors have provided us with interesting and educational content. The CE by Patrick McKeown, “How the family dentist can iden tify and correct oral breathing for better patient outcomes,” points out the need for simple breathing re-education techniques to avoid the negative effects of mouth breathing. Dr. William Hang discusses the pivotal role that orthodontists can play in the healthcare of very young children with airway issues. Take the CE quiz for each of these articles, and you can get a total of 4 CE credits! Our Cover Story by Béatrice and Diane Robichaud of Panthera spotlights the company’s consistent precision, efficiency, speed, true customization, traceability, and reproducibility that leads to outstanding appliances. Dr. Emad Hussein and colleagues illustrate a case study of orthodontic treatment on a patient with a challenging occlusion that many would have treated with orthognathic surgery.
Whatever profession you chose, and whatever path you take, make sure that you follow your passion. Work hard and build a trusted team to help reach your goals. While your dreams are becoming reality, there are sure to be some nightmares, even during the day. But the things you lose sleep over can bring you satisfaction beyond your wildest dreams. We all have greatness in us. We just have to have the courage to discover it and share it.
To your best success, Lisa MedMarkFounder/PublisherMolerMedia
Published by Publisher
Lisa lmoler@medmarkmedia.comMoler
Managing Editor
Mali Schantz-Feld, MA, CDE
Tel:mali@medmarkmedia.com(727)515-5118
Assistant Editor Elizabeth betty@medmarkmedia.comRomanek
National Account Manager
Adrienne Teagood@medmarkmedia.comGoodl:(623)340-4373
Sales Assistant & Client Services
Melissa melissa@medmarkmedia.comMinnick
Creative Director/Production Manager
Amanda amanda@medmarkmedia.comCulver
Marketing & Digital Strategy
Amzi amzi@medmarkmedia.comKoury
eMedia Coordinator Michelle emedia@medmarkmedia.comBritzius
Social Media Manager
April socialmedia@medmarkmedia.comGutierrez
Digital Marketing Assistant Hana support@medmarkmedia.comKahn
Website Architect/Website Support
Mike Campbell/Eileen www.orthopracticeus.comwww.medmarkmedia.comToll-free:Tel:Scottsdale,15720webmaster@medmarkmedia.comKaneMedMark,LLCN.Greenway-HaydenLoop#9AZ85260(480)621-8955(866)579-9496
Subscription Rate
1 year (4 issues)
https://orthopracticeus.com/subscribe/$149
Lisa MedMarkFounder/Publisher,MolerMediaBéatrice and Diane Robichaud explain how Panthera’s cutting-edge technology is transforming treatment experiences
TheFrench have played a distinguished role in the development of new dental technology. In 1973, a dentist named Dr. François Duret is credited with having invented CAD/CAM dentistry in his DDS thesis, “Optical Printing.” By the late 1980s, he had developed revolutionary CAD/CAM technology that made it possible to design, manufacture, and fit a crown within a single patient
Buildingsitting.upon the work of Dr. Duret and others, our family participated in the develop ment of the world’s first CAD/CAM oral appli ance and the very first software that made 3D-printed nylon devices possible. Today we are excited to be at the forefront of dental technology’s 4th industrial revolution, com bining artificial intelligence, advanced robot ics, smart automation, machine-to-machine communication (M2M), and 3D printing in our new state-of-the-art production facility in Quebec
ConsistentCity.
precision in our manufacturing process is the key goal of this technology. It led us to lay concrete floors 3 times the thickness required by building regulations to ensure that traffic vibrations could not affect the per formance of printing and milling machines capable of single-digit micron accuracy. As a company, we are truly passionate about precision, efficiency, speed, true customiza
tion, perfect traceability, and reproducibility. We are excited about what the technology means on a daily basis, allowing us to delight practitioners and patients with exceptional treatment experiences.
In our Sleep division we call the application of our technology Digital Sleep Dentistry 4.0™. If practitioners use an intraoral scanner, then we can meet their needs with a workflow that is entirely digital from end-to-end, thereby fully realizing the benefits of the technology.
Practitioners can transfer scans to us seamlessly from any major scanner, removing unnecessary time and effort and providing a high-quality input from which we can produce a high-precision appliance. The scans are then analyzed in our proprietary design software. Depending on the patient’s dental morphology and the prescription, the algorithms, and preprogrammed parameters, our software makes proposals that are adjusted and accepted by our designer team.
Digital design files are then transferred to a firstin-class powder bed printer where the appliance is printed in nylon polyamide using Selective Laser Sintering (SLS), creating the appliance layer by-layer by melting layers together in the print bed. With 3D printing, the device is not subject to multiple human interventions, so again, the risk of human error is reduced.
But more importantly from a treatment perspective, this method makes it possible to truly customize the appliance for the Thepatient.constant development and control of our software, com bined with our experience and techniques in 3D printing, offer a unique design versatility that meet market requirements and specific requests from our customers and patients.
The printed appliance finally undergoes a proprietary and automated nylon-polishing process reducing roughness by 90%, followed by a final quality inspection before being shipped. Automation at each step ensures efficiency, traceability, and scalability. The entire process from receipt of order to dispatch takes on average 8 days, which means patients can be treated faster than ever before with an appliance that fits like a glove.
Our sleep appliances are all single-material products made from 100% medical-grade biocompatible type-12 polyamide
nylon — a strong yet lightweight hypoallergenic material with high-mechanical and high-thermal resistance. With a 3D-printed appliance made in such a versatile material, the thickness can be varied to achieve either flexibility or rigidity as required. Often the desired therapeutic effect can be achieved with less material volume than would be needed in an appliance made from tradi tional materials like acrylic, meaning less bulk in the mouth and a higher chance that the appliance will be tolerated.
Polyamide 12 is an ideal material with which to manufacture appliances that need to protect natural dentition and restorations from damaging parafunctional forces, thanks to the design that takes care of the biomechanics of the masticatory system. Panthera Dental offers two families of oral appliances, both of which are ideal for bruxers.
As with other mandibular advancement device designs, our D-SAD Classic and D-SAD X3 appliances treat the symptoms of sleep-disordered breathing by holding the mandible forward and slightly open to increase space for air to flow. The D-SAD Classic was first launched in North American markets a decade
ago and has become a leading appli ance design. One of its key strengths is that because advancement is achieved using interchangeable rods that connect upper splint (around the canines) and lower splint (around the molars), the mandible is held by a pull/traction force. This exerts less pressure on TMJ than a design that exerts a push/compression force and works in alignment with the occlusal plane, minimizing the risk of patients developing TMJ disor ders during treatment.1
Our biomechanical design method also allows us to minimize risk of other dental side effects. It means we can make optimum use of undercuts to maximize retention on the multi-root teeth and avoid contact entirely with the relatively weak incisors, thereby minimizing risk of tooth movement. The design maintains a 150-micron gap between anterior bands and incisors, indeed between splint and soft tissues too, thereby also reducing risk of gingival irritation.
We have some standard design features — for example, our plateaus will never contact posteriorly so that the masticatory bruxing muscles are not stimulated. And we have some common customization options such as the addition of anterior discluders or orthodontic elastics. But practitioners can request any num ber of design customizations to suit the patient in front of them, and the CAD/CAM technology allows us to fulfill the need. Fur thermore, the Panthera D-SAD Classic is now PDAC-Medicare approved for E0486.
Occlusal appliances may be used for occlusal stabilization, treatment of temporomandibular disorders to prevent tooth wear and/or to relieve associated symptoms such as headache, mus cle soreness, or TMJ pain. They may have an active therapeutic purpose (reconditioning muscles or repositioning the TMJ) or a passive purpose (protecting the dentition). Splints can be placed on either the maxillary or mandibular arches or both and typi cally cover all the dentition on the respective arch.
Panthera Dental now offers a range of Digital Occlusal Appliances (D-OCAs), consisting of a family of night guards (NG Single, NG Double, NG Neuro) and a family of therapeutic appliances (3Force Control occlusal splint system). When the objective is simply to limit tooth damage or protect restorations, a night guard can be used.
Using CAD/CAM and nylon to produce D-OCAs means that we can meet all the optimum requirements for successful treatment:•Appliances are precisely tailor-made for each patient using the same principles described earlier to maximize retention, to minimize side effects, and to achieve a great first-time fit.
• The hardness of nylon is ideal for bruxers because it reduces muscle contractions com pared to softer splint materials.2
• Occlusal contacts are precisely configured with the following:
º Flat plateaus with soft transitions between contact points
º Contact points with a minimum of one cusp of the antagonist teeth, preferably in the large axis of the teeth and on the supporting cusp
º Simultaneous contacts and limited contact surfaces
º Reduced-last molar posterior contact3
Furthermore, the durability of nylon allows us to warranty D-OCA and D-SAD appliances against in-mouth breakage for a period of 3 years, and the usable life of the appliances may be a lot longer.
We’re very excited about the further advances that lay ahead of us. We recently announced an expansion of our D-SAD range to include an oral appliance to treat the pediatric OSA population. The D-SAD|Myo incorporates two unique elements: the patient-tailored mandibular appliance and a rolling-ball mechanism. It allows the child to independently perform tongue exercises with the device in place and has been shown to sig nificantly improve breathing during sleep in children with OSA.4
The agility of our technology has allowed us to quickly iterate on the initial design developed by Dr. Michèle Hervy, a sleep and orthodontic pediatric specialist and the inventor of the appliance. We expect to be able to launch this new medical device in 2023.
To find out more about Panthera Sleep, visit www.panthera sleep.com.
OP
Navailles B. Impact of two mandibular advancement devices on the temporo mandibular joint Impact on temporomandibular joint of two mandibular advancement device designs. ITBM-RBM. 2006;27(5-6):233-237.
2. Okeson J. The effects of hard and soft occlusal splints on nocturnal bruxism. J Am Dent Assoc. 1987;114(6):788-791.
3. Dawson P. A classification system for occlusions that relates maximal intercuspa tion to the position and condition of the temporomandibular joints. J Prosthet Dent. 1996;75(1):60-66.
4. Huang Y. Neutral supporting mandibular advancement device with tongue bead for pas sive myofunctional therapy along term follow-up study. Sleep Med. 2019;(60):69-70.
Panthera Sleep’s Night Guard SingleOur dentalminimizeallowsdesignbiomechanicalmethodustoriskofsideeffects.
simple. Accepting CareCredit to help more patients get a straighter and more attractive smile is easier than ever because there are so many ways to learn about and apply for the CareCredit credit card. If your practice management software has CareCredit integrated, you can access the payment calcu lator, help patients see if they prequalify, and apply within the software (at their request),* saving your team time and helping improve efficiency. Or you can use your custom link to have patients learn about CareCredit and apply privately from their home computer or on their smart device while in the practice. It’s financing simplified and here’s how it works:
1. Place a CareCredit practice display that features your custom link QR code in your reception area and through out your practice to let all patients know you accept CareCredit. This can be especially helpful for the 12.7+ million current CareCredit cardholders who may already have a way to pay for care.
2. Have patients scan your custom link QR code with their smart device to learn about CareCredit, see if they pre qualify (without impacting their credit bureau score), and apply for the CareCredit credit card privately. You can also use provided custom link digital assets to enable patients to see if they prequalify and apply before their
Youappointment.nolongerneed to share the details about CareCredit, assist with the application, or communicate credit decisions, which may save your team some valuable time. And your patients no longer need to share sensitive information for the application. It’s that easy and convenient — for patients and for your team. And, as always, with CareCredit, you get paid in 2 business days, which can help improve cash flow and reduce billing and collections.
Visit https://omam.carecreditvirtual.com for ideas on how to celebrate your #AwesomeOM. And all #AwesomeOMs are invited to the same site for a special experience just for them!
If you have yet to accept the CareCredit credit card, join a network of more than 260,000 provider and health-focused retail locations by calling 800-300-3046 Option 5.
If you accept CareCredit and would like to get your custom link and more valuable resources that make financial conver sations easier, call 800-859-9975, or visit www.carecredit.com/ mycustomlink.
*Except for providers in California who are prohibited under state law from submitting applications on behalf of patients for certain healthcare loans or lines of credit, including the CareCredit credit card.
**CareCredit
Did you know that 1 out of every 10 residents in the United States has or has had a CareCredit credit card?**
Aheightangle Class II malocclusion is one of the most challenging malocclusions to treat, especially for adult patients. Orthodontic treatment is seldom sufficient alone in treating this type of craniofacial pattern and typically requires orthognathic surgery.
The nature of a Class II malocclusion with a hyperdivergent mandible is mechanics-sensitive since straightwire appliances are usually extrusive, which will aggravate the backward and downward position of the mandible, thus making the Class II mal occlusion worse.1-3 Controlling the vertical position of posterior teeth is an important factor in treating these patients.4-5 In growing patients, vertical control can be achieved with a high-pull head gear and molar bite blocks.6-10 Adults, especially those with open bites, cannot be treated easily without orthognathic surgery.
Still, skeletal anchorage with miniscrews makes the vertical control of the posterior dentition possible and even their intru sion and retraction. In many cases, this can eliminate the need for orthognathic Interradicularsurgery.11-13miniscrews have been used successfully to intrude posterior teeth,14-16 but in Class II high-angle patients, they have not been effective in the retraction of those teeth — hence, the introduction of longer infrazygomatic miniscrews, which allow both intrusion and retraction maxillary buccal segments. This also allows the mandible to autorotate in a coun terclockwise manner, which facilitates the treatment of Class II hyperdivergent patients.17-20
The current clinical report successfully uses infragomatic miniscrews to intrude and retract posterior segments in an adult high-angle Class II malocclusion, which also succeeded in the correction of sagittal, transverse, and vertical discrepancies.
A 19-year-old healthy male patient presented to our clinic
with a chief complaint of protruded teething and open bite. The patient had a symmetric face, competent lips, and an increased lower anterior face height. His profile was convex due to the mandibular recursion aggravated by a clockwise rotation,
Drs. Emad Hussein, Sari Amer, Yazan Ashhab, Mohammad Abo Mowais, Khaled Qattawi, Nezar Watted, and Zuhir Anani are from the Arab American University of Palestine, Ramallah, Palestine. Dr. Manal Samarah is in Private practice Ramallah, Palestine. Disclosure: Dr. Hussein has not received compensation for the case study or article. Figures 1A-1C: Pretreatment extraoral pictures B. B. C. Figures 2A-2F: Pretreatment intraoral pictures and panoramic X-raywhich increased the convexity. The nasolabial angle was obtuse (Figures 1A-1C).
A smile analysis revealed a reverse smile line and an insuf ficient display of maxillary incisors upon smiling. Intraorally, he had an open bite with proclaimed maxillary incisors, a con stricted maxillary arch, and a bilateral posterior crossbite. He also had Class II molars and canines on both sides. The occlusal view showed a tapered maxillary arch and a round-shaped man dibular arch. Both arches displayed arch length discrepancies. (Figures 2A-2E)
The panoramic X-ray showed a full complement of teeth, a left horizontally impacted third molar, along with the three other third molars (Figure 2F). The pretreatment cephalometric analysis revealed a skeletal Class II measurement of an ANB of 6.8° with a retrognathic mandible measuring aSNB of 76.6°. The mandible had a hyperdivergent growth pattern of 58.35% with a long anterior face height of 130.6 mm (Figure 3A). The maxillary incisors showed protrusion of .9.5mm to APOg with a proclination of 115.8°, while the mandibular incisors were retrusive with an APOg mea surement of .4 mm and retro clined to 84°.
A surgical option to intrude the maxillary dentition with a mandibular advancement was offered but refused by the patient. An option was then offered and accepted by the patient to use infrazygomatic miniscrews to intrude and retract the maxillary teeth.
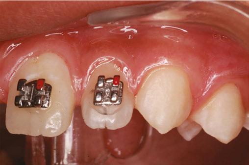
Treatment started with a transpalatal arch between the maxil lary first molars, which acted as a rigid unit to prevent unwanted facial inclination of the molars. A referral was made to an oral surgeon to remove the third molars. Fixed appliances of .022 x .028 Pinnacle® brackets with the McLaughlin, Bennett & Trevisi Prescription from Ortho Technology® were bonded to maxillary and mandibular teeth, and .014 thermal nickel-titanium fullform archwires (TruFlex®, Ortho Technology®, West Columbia, South Carolina) were used to align the arches after which a .016 stainless steel maxillary TruForce™ wire (Ortho Technology®) was placed. Following the stainless steel wire, two Vector TAS infrazygomatic miniscrews (Ormco™ Corporation, Orange, California) were inserted between the first and second maxillary molars (Figures 4A-4E).
Power chains with approximately 150 grams-force were added from the miniscrews to the maxillary first molars. After a .019 x .025 TruForce™ stainless steel archwire was placed in the maxillary arch, an additional power chain connected the maxil lary canines to the miniscrews to retract as well as to intrude the posterior buccal segments without jeopardizing the inclination of the maxillary anterior teeth. The patient refused the use of miniscrews in the mandibular arch, so molar bite blocks (Reli ance® Ultra Band-Lock, Ortho Technology®) controlled the ver tical position of the mandibular molars, which prevented them from over One-eightheruption.inch
vertical elastics (Amber medium 1/8 inch Manta Ray®, Ortho Technology®) and Class II 3/16 inch medium elastics (3/16 medium Sea Otter®, Ortho Technology®) were employed in the last stages of treatment to settle the occlusion and to improve the mandibular incisor inclination (Figures 5A-5C).
Figures 3A-3C: Cephalometric tracing before and after treatment and superimposition Figures 4A-4E: Infrazygomatic miniscrews inserted in the upper jaw Figures 5A-5D: Finishing and detailing the occlusion with a progress pan oramic X-ray B. C.Wraparound Hawley Retainers provided retention, which encouraged further molar eruption and intercuspation. Once molar intercuspation completes, new thermoelastic refiners would be used to prevent molars from over eruption.
Class I molars and canines were achieved, the overjet improved, and the open bite closed. The lower anterior face height markedly decreased, and a slight advancement of the chin occurred (Figures 6 and 7). The bilateral posterior crossbites corrected, and the arch length discrepancies resolved. The smile arc now followed with the contour of the lower lip.
Cephalometric superimposition of the pre- and-post-tracings showed an overall improvement among multiple cephalometric measurements, including, but not limited to, the refinement of the maxillary and mandibular incisors’ positions. The maxillary incisors decreased their proclamation from 115° to 107.3°, and their anteroposterior position decreased from 9.5 mm to 3.4 mm. The mandibular incisor IMPA increased from 84° to 91.8°, while the anteroposterior position increased from 0.4 mm to 1.9 mm.
The lower lip to the E-line improved from the mandibular incisor proclination, and the mandibular counterclockwise rota tion provided by the intrusion of the posterior maxillary segment. The patient’s anterior face height decreased dramatically by 3.07 mm. The Frankfort mandibular plane decreased by 2.7° as well as an improvement of the facial axis by 2.6°.
Many would consider only orthognathic surgery for a malocclusion of this sort.21-22 Still, miniscrews provided the skeletal anchorage for the successful treatment of this adult hyperdivergent Class II malocclusion complicated by a serious open
SA, Eisenfeld J, Bell WH, Epker BN, Mishelevich DJ. The long face syndrome: vertical maxillary excess. Am J Orthod. 1976;70(4):398-408.
2. Proffit WR, Fields HW, Sarver DM. Orthodontic diagnosis: The problem-oriented approach. In: Contemporary Orthodontics. 5th ed. Mosby; 2013.
3. Inami T. The treatment of Class II malocclusions, combined with severe crowding and bimaxillary protrusion using a multi-lingual bracket appliance. J Jpn Assoc Adult Orthod. 1997;3:76-96.
4. Schudy FF. The control of vertical overbite in clinical orthodontics. Angle Orthod. 1968;38(1):19-39.
5. Park YC, Lee SY, Kim DH, Jee SH. Intrusion of posterior teeth using mini-screw implants. Am J Orthod Dentofacial Orthop. 2003;123(6):690-694.
6. Sankey WL, Buschang PH, English J, Owen AH 3rd. Early treatment of vertical skeletal dysplasia: the hyperdivergent phenotype. Am J Orthod Dentofacial Orthop. 2000;118(3):317-327.
7. Firouz M, Zernik J, Nanda R. Dental and orthopedic effects of high-pull headgear in treatment of Class II, division 1 malocclusion. Am J Orthod Dentofacial Orthop. 1992;102(3):197-205.
8. Ngan P, Wilson S, Florman M, Wei SH. Treatment of Class II open bite in the mixed dentition with a removable functional appliance and headgear. Quintessence Int. 1992;23(5):323-333.
9. Cozza P, Mucedero M, Baccetti T, Franchi L. Early orthodontic treatment of skeletal open-bite malocclusion: a systematic review. Angle Orthod. 2005;75(5):707-713.
10. Marşan G. Effects of activator and high-pull headgear combination therapy: skeletal, dentoalveolar, and soft tissue profile changes. Eur J Orthod. 2007;29(2):140-148.
11. Erverdi N, Keles A, Nanda R. The use of skeletal anchorage in open bite treatment: a
cephalometric evaluation. Angle Orthod. 2004;74(3):381-390.
12. Kuroda S, Sakai Y, Tamamura N, Deguchi T, Takano-Yamamoto T. Treatment of severe anterior open bite with skeletal anchorage in adults: comparison with orthognathic surgery outcomes. Am J Orthod Dentofacial Orthop. 2007;132(5):599-605.
13. Xun C, Zeng X, Wang X. Microscrew anchorage in skeletal anterior open-bite treat ment. Angle Orthod. 2007;77(1):47-56.
14. Park HS, Lee SK, Kwon OW. Group distal movement of teeth using microscrew implant anchorage. Angle Orthod. 2005;75(4):602-609.
15. Kuroda S, Sugawara Y, Deguchi T, Kyung HM, Takano-Yamamoto T. Clinical use of miniscrew implants as orthodontic anchorage: success rates and postoperative discom fort. Am J Orthod Dentofacial Orthop. 2007;131:(1)9-15.
16. Yamada K, Kuroda S, Deguchi T, Takano-Yamamoto T, Yamashiro T. Distal movement of maxillary molars using miniscrew anchorage in the buccal interradicular region. Angle Orthod. 2009;79(1):78-84.
17. Liou EJ, Chen PH, Wang YC, Lin JC. A computed tomographic image study on the thickness of the infrazygomatic crest of the maxilla and its clinical implications for miniscrew insertion. Am J Orthod Dentofacial Orthop. 2007;131(3):352-356.
18. Uribe F, Mehr R, Mathur A, Janakiraman N, Allareddy V. Failure rates of mini-implants placed in the infrazygomatic region. Prog Orthod. 2015;16(31).
19. Murugesan A, Sivakumar A. Comparison of bone thickness in infrazygomatic crest area at various miniscrew insertion angles in Dravidian population — A cone beam computed tomography study. Int Orthod. 2020;18(1):105-114.
20. Lima A Jr, Domingos RG, Cunha Ribeiro AN, Rino Neto J, de Paiva JB. Safe sites for orthodontic miniscrew insertion in the infrazygomatic crest area in different facial types: A tomographic study. Am J Orthod Dentofacial Orthop. 2022;161(1):37-45
21. Ozaki, Takemasa, Shusaku Ozaki, and Kumi Kuroda. Premolar and additional first molar extraction effects on soft tissue: effects on high angle Class II division 1 patients. Angle Orthod. 2007;77(2):244-253.
22. Almurtadha RH, Alhammadi MS, Fayed MMS, Abou-El-Ezz A, Halboub E. Changes in soft tissue profile after orthodontic treatment with and without extraction: A systematic review and meta-analysis. J Evid Based Dent Pract. 2018;18(3):193-202.
23. Wu X, Liu H, Luo C, Li Y, Ding Y. Three-dimensional evaluation on the effect of max illary dentition distalization with miniscrews implanted in the infrazygomatic crest. Implant Dent. 2018;27(1):22-27.
24. Bayome M, Park JH, Bay C, Kook YA. Distalization of maxillary molars using temporary skeletal anchorage devices: A systematic review and meta-analysis. Orthod Craniofac Res. 2021;24(suppl 1):103-112.
FiguresThe prevalence of social media, adver tising, and in turn, consumer awareness has seemingly encompassed all areas of our lives and our patients’ lives. The ability to harness the digital world’s efficacy in attracting new patients and communicating with existing patients, while simultaneously navigating through the world of information overload, has never been more important. The edu cational resources now available to our patients have created a population of prospective and existing patients we have never seen before. Patients are now well-informed of their orthodontic treatment options and will request, or at times demand, to be treated via a certain modality. At the same time, as orthodon tists, we have the ability to offer different treatment options to satisfy those patients’ requests. Now more than ever, we must be versatile and offer braces and clear aligners, irrespective of what we may have preferred in the past, all in an effort to continue meeting the needs of our patients and remain relevant. We must rely on our strengths to develop that versatile approach, and at times, it may be necessary to change one’s perspective in order to achieve that result.
“Begin with the end in mind.” I vividly remember this state ment echoing in my mind as I tried to navigate my very first clear aligner case. In 7 Habits of Highly Effective People, author Stephen Covey uses these words to encourage his readers to first establish and focus on the end goal, and then to create a
path forward toward that destination. A lack of clarity or trouble envisioning an end goal can create unnecessary challenges and roadblocks, which can be difficult to overcome and navigate. You may be wondering, why is this relevant? How does this apply to us as orthodontists? “Begin with the end in mind” continues to resonate with me and manifests itself in how I approach all of my clear aligner and braces cases. As practitioners, we need the confidence to treat all cases to the same level of exceptional care and use any treatment method as a means to get there. By beginning with the end in mind, I can work toward creating a roadmap to facilitate achieving the smile I have envisioned for my patients. But as you can imagine, I did not always start with the end in mind early in my practice.
Dr. Manika Agarwal, a Diplomate of the American Board of Orthodontics, earned her certificate in orthodontics as well as her MS in oral biology from the University of Illinois at Chicago. Prior to residency, she completed her dental training at the University of Pennsylvania. Now in private practice in the western suburbs of Chicago, she maintains active memberships in both state and national organizations in order to stay up to date with the latest innovations in the field. She believes in treating all her patients with compassion and kindness and strives to provide them with the highest level of care. As a key educator, she is passionate about education and enjoys sharing her ideas with others, while learning from her mentors in order to continue elevating her skills.
Disclosure: Dr. Agarwal is a paid consultant for Ormco™. Ormco is a medical device manufacturer and does not dispense medical advice. Clinicians should use their own professional judgment when treating patients. The opinions expressed are those of Dr. Agarwal. Images are of actual patients and have not been altered.
One of my biggest obstacles when starting in private practice was not to approach my cases differently, depending on whether I was going to use braces, specifically passive self-ligation (PSL), or clear aligners. Instead of focusing on the technical compo nents of what defines a beautiful smile, I tried to navigate my clear aligner cases differently. I wasn’t relying on my orthodontic principles or working with an established destination, something that came naturally with my PSL cases. For some reason, treating a patient with clear aligners elicited a degree of uncertainty and anxiety that led to a lack of focus on the basics and not having an end goal in mind. I didn’t know where or how to start, and then when I did start, depending on how the treatment was pro gressing, it became difficult to pivot if needed. When I was able to make the necessary adjustments in the treatment, there were times I felt unsure as to when a patient had successfully com pleted their treatment. By not envisioning the end result and not establishing a path toward that end result, I was unsure where I should be and when I would reach my destination.
As I continued to work through the obstacles I faced in my initial approach to clear aligner cases, I tried to listen to that voice in my head and draw on my experiences treating PSL cases. I began to envision what I viewed as my perfect result: an esthetic smile with an ideal occlusion rooted in the funda mentals of transverse development and natural archform. This was different from what I had been doing initially, which was to define that perfect smile, depending on the treatment modality. By switching my approach from “how do I treat this patient with
Now more than ever, we must be versatile and able to offer braces and clear aligners, irrespective of what we may have preferred in the past. ...
clear aligners or braces?” to “what are my esthetic and func tional goals for this patient?” I have allowed myself to lean on my orthodontic foundation and begin with the end in mind. This has given me the confidence in providing the best care to my patients without differentiating the care based on the treatment method. By detailing and defining the most important aspects of a beautiful smile and a functional occlusion, I have been able to create a clear roadmap to facilitate reaching that end goal, step-by-step, in a predictable manner. By focusing on the funda mentals of orthodontics that I learned in my training and advice I garnered while working with my mentors and colleagues, I have been able to envision the smile my patients deserve. I have defined my end. Now all I have to do is start there.
Now you may be asking, how did you come to define this destination, this smile you want all of your patients to have? For me, it all comes from my experience successfully treating PSL cases, where I consistently saw that destination, and in a predictable step-by-step process, created a path there. In a very orthodontic fashion, the destination or smile I envisioned for my patients is defined by the esthetic and functional goals I have established for that patient. When evaluating the esthetic goals, I focus on the three components that Dr. David Sarver established: macroesthetics, miniesthetics, and microesthetics. This approach has allowed me to focus my esthetic goals by prioritizing facially driven treat ment planning. And when evaluating the functional goal, I focus on the keys to normal occlusion, a goal defined by Dr. Larry Andrews. In adopting this meth odology, I am able to treat my patients knowing that I am achieving my goals and ultimately the smile I envisioned.
As we continue to develop our treat ments, incorporate new ideas, and learn from our experiences, it is important to keep the basics in mind and to listen to that voice, to begin with the end in mind. This is even more important as we have patients who are well-informed and aware of their treatment options, in turn, demand a specific treatment modal ity, and are hyperfocused on esthetics. Patients know what they are looking for, and it is up to us to help them achieve those goals. Whether we use braces or clear aligners, it is important to realize that the approach is the same — that the end result is the same. An efficient and organized way to achieve those results is to begin with the end in mind.
Transverse development is the start to achieving excellent clinical results.
The power of the transverse dimension is what we are always evaluating and treating to in our PSL cases, and is the fundamen tal principle on which beautiful results are achieved. As alluded to earlier, these principles are based on what Dr. Larry Andrews described as the keys to establishing optimal occlusions and bal anced faces in all individuals, irrespective of treatment method. Thus, when diagnosing and treatment planning the following two cases, I focused on those fundamentals to determine how my esthetic and functional treatment goals created my destination.
The following two cases are also a great example of how we, as orthodontists, give our patients the opportunity to choose their treatment modality while maintaining confidence in our abilities to achieve and deliver the same results. As you will see, both cases had a similar initial diagnosis, but one was treated with clear aligners and the other with PSL.
Diagnosis: A 19-year-old female presented with Class I mal occlusion with moderate maxillary and mandibular crowding. The constricted maxillary arch resulted in a unilateral right posterior crossbite and lower midline deviation to the right. She presented with a straight soft tissue profile, normal verti cal dimensions, and normal lip structures. The tapered arches resulted in poor smile width and excessive buccal corridors, with slightly protruded incisors.
Figure 1: Case 1–Patient SJ was treated in 12 months with 48 aligners and 1 refinementObjectives: The objectives of this case were to upright and develop the buccal/posterior segments for an improved smile width. This would allow for correction of the posterior right cross bite and increase in arch length to allow for alignment of the anterior teeth and prevent any further protrusion of the incisors. In addition to these functional objectives, an increased incisor display and improved smile arc was our primary esthetic goal.
Treatment plan: This patient preferred to be treated with clear aligners. The key to setting up this case was to ensure that the objectives were addressed by appro priately staging the movements. I used the fundamental principles outlined in the objectives to ensure the step-bystep process would achieve predictable results. In order to do so, I dictated how the teeth would move through the use of the software, eliminating any deviation from the plan.
I started staging this case by upright ing the buccal segments with simultane ous expansion and rotation of the molars to create a natural archform. Crossbite elastics were worn on the right to estab lish a stable transverse dimension while filling the dark buccal corridors. The transverse development helps create space to align the anterior teeth. Focusing on esthetic treatment goals of improving the smile arc through eruption of incisors allows for a consonant smile arc with appropriate incisor-show.
Diagnosis: A 14-year-old male presented with a Class I mal occlusion with moderate maxillary and mandibular crowding. A constricted maxillary arch resulted in a unilateral left posterior crossbite with a mandibular midline deviation. He presented with normal soft tissue contours and vertical proportions. The posterior constriction resulted in tipped in buccal segments, poor smile width, and excessive buccal corridors. Upright incisors resulted in poor anterior smile esthetics and decreased incisor display on smiling.
Objectives: Since the initial diagnosis was largely similar to Case 1, my destination, and in turn, approach and objectives, were similar as well. My primary goals were to upright the buccal/posterior segments to create space for the anterior teeth and achieve a natural archform. This would allow for correction of the crossbite and improvement of smile width. Increase of both anterior torque and incisor display was also necessary to improve smile esthetics.
Treatment plan: This patient preferred to be treated with braces, so I used the Damon Ultima™ System for his treatment. Due to his severe posterior constriction and upright incisors,
I chose proclined torque brackets for the U1s to ensure no fur ther torque loss during posterior development and to provide additional torque in the anterior. He wore crossbite elastics on the left to improve the posterior left occlusion. The elastics, cou pled with posterior development through passive self-ligation, allowed for an increase in smile width while the bracket place ment in the anterior was chosen to improve the smile arc.
The wire progression was as follows: 0.014 CuNiti for 4 weeks, 0.018 CuNiti for 4 weeks, 0.014x0.0275 CuNiti for 20 weeks (due to COVID), 0.018x0.0275 CuNiti for 8 weeks, 0.018x0.025SS U / 0.016x0.025SS L for 8 weeks, 0.019x0.025SS U / 0.016x0.025SS L for 8 weeks.
As patients become more aware of their options, their power of choice is becoming the driving force behind how we practice. Part of providing exceptional care is listening to and understand ing our patients’ desires. If that means using a particular treatment modality, we must have the perspective, mindset, and confidence to be able to achieve the same results, irrespective of whether we use braces or clear aligners. By shifting our focus to the goals we have established and achieved for our patients in previously com pleted cases, we can draw on those experiences and distinguish ourselves as versatile clinical orthodontists. We can position our selves to be able to provide our patients with two reliable choices and be confident in delivering exceptional results. OP
Figure 2: Case 2–Patient MA was treated in 14 monthsDr.David M. Sarver has offered the dental profession a valuable tome whose esthetic premise he explains in the following three categories:
• Macro-esthetics, which regards the attributes of the face
• Mini-esthetics, which considers the several features of the smile
• Micro-esthetics, which reviews the multiple traits of the teeth
Dr. Sarver provides a conversational narrative that invites readership and displays spectacular photographs and diag nostic images, which give readers a new appreciation for their value in diagnosis and treatment planning. He empha sizes the importance of the initial examination and the use of imaging forecasts to help patients and parents fully under stand the goals he envisions for their malocclusions rather than the orthodontic problems they have. Dr. Sarver spends much time emphasizing the value of developing a smile arc that avoids arranging the teeth with traditional bracket placement, which often leaves maxillary incisors out of sync with the lower lip, but fails to alert readers as to where those brackets need placement for developing the arc.
Fortunately, and it is about time to find this in a textbook, Dr. Sarver challenges the classical concept of diagnosis and therapy that relies on osseous tissue and the mandibular incisor as the axis around which clinical decisions are made. Others such as Holdaway, Bass, Alvarez, Creekmore, and White as long as 4 decades ago suggested in published journal articles that the maxillary incisor and subsequently the soft tissue merit consid eration as the basis for diagnosis and treatment planning rather than the mandibular incisor. But to my knowledge, this is the first time such a sensible idea has appeared in a published book, and rather than simply mentioning such a departure from the classical orthodontic canon, Dr. Sarver amply and beautifully displays the value of such strategy. I wish the author had left some measurable quantities that could guide readers into goals for determining the limits of a handsome face. Still, it refreshes this reviewer to finally discover a clinician that places diagnostic and treatment planning emphasis where it needs to be — soft tissue and the maxillary incisor.
Dr. Sarver also fully exploits the therapeutic advantages of surgeries such as blepharoplasty, rhytidectomy, lip augmentation, and the possibilities of rhinoplasty, mandibular and maxillary advancements, maxillary impaction, etc. He also illustrates the
value of gingivoplasty with a diode laser to display more enamel of the teeth, which can greatly magnify the smile. Additionally, he describes and shows the advantages of tooth reshaping and composite augmentation of enamel.
Dr. Sarver displays excellent results by using maxillary canine substitutes as lateral incisors and subsequently the use of premolars as canines, which may cause distress among those still clinging to D’Amico’s theory of canine-protected occlusion as sacrosanct and inviolable. But the proof of the pudding is in the tasting, and Dr. Sarver’s results are delicious.
Dr. Sarver’s new textbook is one of the most valuable and useful additions to the orthodontic bibliography, and once dentists see it, they too will understand. Of course, as with all Quintessence publications, this one provides readers with thick, durable pages, unsurpassed images and illustrations, along with exquisite layouts and readable fonts. In this, author and pub lisher have merged to produce a remarkable experience for orthodontic clinicians and other dental professionals.
Review by Dr. Larry White OPThis book dives deep into dentofacial esthetics and teaches you how to evaluate each patient who walks through your door from the macro to the micro, focusing first on the big picture and then working your way to the minute details in order to treatment plan for the best possible outcome. The author’s goal is to educate dentists and orthodontists about what they should be seeing in order to yield maximally esthetic outcomes, taking into consideration concepts like esthetic balance and smile projection. This book will teach you to see the face and dentition in a different way, guiding you to understand what the problems are, how to think your way through them and put them in a perspective so that you and the patient can agree on the focus of treatment, and then how to choose the most appropriate and effective treatment methods. An invaluable resource for any orthodontist or esthetic dentist.
512 pp; 2,500+ illus; ©2020; ISBN 978-0-86715-888-5 (B8885); US $268
CALL: (800) 621-0387 (toll free within US & Canada) • (630) 736-3600 (elsewhere) 8/22 FAX: (630) 736-3633 EMAIL: service@quintbook.com WEB: www.quintpub.com
QUINTESSENCE PUBLISHING CO INC, 411 N Raddant Rd, Batavia, IL 60510
The 2017 ADA directive for dentists to screen for sleep/breath ing problems1 opened the door for a completely new era in den tistry. With this new focus, the orthodontic profession logically becomes the best-positioned group to assume a pivotal role in treating patients with airway issues. A quick scan of the program for the recent American Association of Orthodontists meeting in Miami, however, revealed only 5 of 237 scheduled lectures mentioned “airway” in the title. Does this indicate there is little interest in treating airway issues? None of the “airway” lectures seemed to focus on treating very young children. Is there really a need for treating very young children for airway problems?
Dr. Ronald Harper, PhD and neurobiologist at UCLA, has documented areas of the brain that are damaged with even one night of reduced oxygen saturation secondary to sleep/breathing issues in very young children.2 Dr. Philip Cooper Jr. has drawn particular attention to the African American children with his book, Why? African American Children Can Not Read.3 His premise is that many have sustained brain damage very early in their lives as a result of breathing-disordered sleep, including OSA. Dr. Cooper makes a strong case that many may never over come this damage to lead normal lives.
This self-instructional course for dentists and orthodontists aims to discuss the pivotal role that orthodontists can take in the healthcare of very young children with airway issues.
Orthodontic Practice US subscribers can answer the CE ques tions by taking the quiz online at orthopracticeus.com to earn 2 hours of CE from reading this article. Correctly answering the questions will demonstrate the reader can:
• Realize the effect that sleep-disordered breathing has in brain growth in young children.
Review some history regarding treating children in the primary dentition for sleep-breathing disorders.
Recognize the importance of facilitating nasal breathing in children.
• Observe a case study of a young patient who was treated at a young age for sleep-breathing disorders.
William M. Hang, DDS, MSD, graduated at the top of his class from the University of Illinois College of Dentistry and the University of Minnesota Orthodontic program where he briefly taught orthodontics. He has been in private practice since 1975 and is currently practicing in Agoura Hills, California. Having been traditionally trained, he extracted teeth for crowding and often retracted the teeth. For the past 40 years, however, he has been a pioneer in nonretractive treatments to improve the airway in patients of all ages. He received a Lifetime Achievement Award from the American Academy of Physiological Medicine and Dentistry for his work.
Dr. Hang recently founded OrthO2Health™ to teach and mentor doctors about airway healthy orthodontic treatments for all ages. His Early Childhood Health-Centered Orthodontic Mentorship™ focuses on treatments for children approximately age 10 and under with an emphasis on treating in the primary dentition. The Hang E.R.R.S.™ (Extraction Retraction Regret Syndrome™) Orthodontic Mentorship addresses treatments for teens and adults to optimize facial balance, TMJ health, and airway. Reversing previous orthodontic retraction, including reopening previous bicuspid extraction spaces or missing lateral incisor spaces and surgery, are also integral parts of this
Disclosure:mentorship.Dr.Hang
practices Orthotropics® and has a mentorship in which he teaches other doctors the philosophy and technique of Orthotropics®
Dr. John Remmers, a Harvard-trained early pioneer in the sleep arena, states that OSA wouldn’t exist if our jaws were forward like our ancestors.4 Anthropologists Daniel Lieberman and Robert Corrucinni have described the reasons our jaws have failed to grow forward like our ancestors.5,6
Dr. Christian Guilleminault (1938-2019) was the former head of the sleep clinic at Stanford University and arguably the most-published person in the medical sleep arena. He lectured at the January 2019 American Association of Orthodontists (AAO) meeting on airway. Dr. Guilleminault noted that children expe rience the frequent occurrence of sleep/breathing problems long before they erupt any permanent teeth. He further described sig nificant health problems these children will encounter through out their lives unless something is done. Dr. Guilleminault made a very strong call for treatment as soon as any problem is recognized. He stated that establishing 100% nasal breathing at the earliest age possible was critical for optimizing dentofacial growth and future health.7
A 2020 Journal of Clinical Orthodontic (JCO) survey shows the responding orthodontists recommended age 7 for a first orthodontic exam as per the AAO guidelines. Eleven years old, however, was the recommended age to begin treatment.8 How
much brain damage and other serious health issues are we will ing to tolerate for our kids if we continue to wait for permanent teeth to erupt? Could/should orthodontists be treating some chil dren in the primary dentition?
After combining the ideas of all the preceding experts on airway and facial development, it becomes clear that we need to do everything possible to develop faces forward and treat as early as Treatingpossible.children in the primary dentition is not a new idea. Over 100 years ago, articles appeared about breathing disorders affecting very young children and how the profession must treat these problems very early. In 1912, Bogue recommended treat ment to widen the dental arches prior to age six. Citing the seri ous health issues that were occurring, he focused less on teeth and more on health aspects of getting all children to be nasal breathers.9 Cohen stated in 1922, “Treating the dental deformity before the sixth year insures not only good mouth functioning but also correct breathing, since the width of the maxillary arch determines whether or not there is room for normal nasal breathing.”10 As recently as 1931, L. De Coster recommended beginning treatment as young as 3 years of age.11
All these authors were concerned about establishing nasal breathing patterns and focused secondarily on teeth. Strong calls for very early intervention with a focus on establishing nasal breathing by these early pioneers lost out to louder voices in the profession who focused on a mechanistic approach of aligning teeth in the permanent dentition. This is the current paradigm. Few articles in orthodontic journals today make a compelling case that establishing nasal breathing should be part of every orthodontic treatment plan.
For more than 50 years, John Mew has theorized that all mal occlusions are caused by poor rest oral posture. He makes the point that for most people, both jaws are significantly recessed from where they should be. Mew points out that our ancestor’s jaws were much farther forward.12 His ideas correlate well with
Lieberman and Corruccini. More importantly, he has developed a protocol and advocated for treatment to develop both jaws for ward in young growing children under age 10. In 2000, I noticed substantial airway improvements in patients I had treated with this protocol. In 2007, Singh, Garcia-Motta, and Hang published an article showing dramatic airway improvements in patients treated with this protocol. This research found a 31% increase in the airway at the dorsum of the palate, 23% increase at the base of the tongue, and 9% increase in the laryngopharyngeal area.13 We never promise any patients that we can or will improve their airway. Having said that, optimizing airway has been the primary goal in our practice for several decades.
Mew’s protocol had traditionally been reserved for treating patients in the mixed dentition when all four upper incisors were in the mouth. After witnessing several patients in the primary dentition having unfavorable vertical growth with both jaws fall ing back substantially from the primary dentition until the per manent incisors were in place, I decided I had to begin treating patients in the primary dentition. We began doing this nearly 2 decades ago and are still in a discovery mode refining our protocol.Theeffectiveness of this protocol in eliminating OSA in a very young child was demonstrated 12 years ago when we treated a 5-year 2-month-old boy who had been diagnosed with Pierre Robin Sequence, OSA, and Failure to Thrive. Prior to erup tion of any permanent teeth, we advanced the maxillary anterior teeth substantially while at the same time expanding laterally according to our adaptation of Mew’s protocol. The patient then cooperated well with a postural appliance, and the mandible came forward, opening the airway. Dr. Stephen Sheldon, direc tor of the Sleep Medicine Center of Lurie Children’s Hospital of Chicago, reported that the patient had a sleep study indicating his OSA was completely eliminated. This case was later pub lished by Dr. Sheldon14 (Figure 1). Subsequent follow-up with the family has found this boy has grown normally, is excelling in
Figure 1: Cephalometric X-rays of patient in the primary dentition pre- and post-Orthotropics® treatment showing airway improvement sufficient to eliminate OSA per PSGschool, and is an aggressive tennis player at age 17. Clearly, he is one of the lucky ones whose problem was resolved before he sustained brain damage, which might have affected his academic performance, motor coordination, and overall health.
The mantra of the dental/orthodontic profession in response to the OSA issue is to expand laterally. My experience confirms that lateral expansion alone is frequently not going to resolve a serious sleep/breathing issue. In response to a lecture emphasizing lateral expansion about 5 years ago, I stated, “You can’t expand your way out of an anteroposterior problem.” As noted earlier, John Remmers, MD, indicates OSA is an antero posterior issue.4 Guilliminault and Quo confirm that lateral expansion may not be enough to resolve breathing/sleep issues.15
The patient in Figure 2 case illustrates this. The boy was 3 years 11 months old when we first examined him. His mother reported that at age 2 he was tired all the time. She described him as “looking sickly with bags under his eyes.” She also reported a sleep test administered somewhere between age 2 to 2 ½ revealed “… acute/severe OSA with oxygen desaturation to 93%.” Even after T&A (ENT reported tonsils as “humongous”), he remained a restless sleeper, still appeared tired, etc. His mother wanted to see what might be done to improve his airway/sleep.
Minimal spacing of the anterior primary teeth and a CBCT showing very large permanent incisors suggested lateral expan sion of both arches would be a good first step in treating him. Many may be afraid of expanding the lower arch given the fact that there is no midline suture. They were not taught in their ortho training that lower expansion was possible. Others may be afraid that the first molars being unerupted will not expand and may require later expansion. We’ve been expanding lower arches in growing children in the mixed dentition for almost 40 years and have done so for my own boys (now 46 and 44, respectively) and one grandson who is now 13 and will never need to wear braces.
We placed a removable upper expander with an 11-mm screw, and about 2 weeks later added a fixed lower expander with an 11-mm screw cemented on the lower primary second molars. These were activated ¼ mm every 4 days. This rate is very physiologic and is easily tolerated by most children. At this rate, 10 mm of lateral expansion can be achieved in as little as 5 months (Figure 3). Orthodontists are all familiar with documented improvements in the nasal airway with maxillary expansion. These airway improvements in the nasal passages are all a plus in reducing resistance to airflow. Having acknowledged that, the collapse of an airway producing apneic events typically occurs with either the soft palate or the tongue (or both) falling back to occlude the airway. This is why the A-P plane of space must be part of the solution in many if not most cases. Our emphasis on the structural aspects of this problem does not ignore the reality that poor muscle tonicity of the muscles around the pharynx can also be a contributing factor. That is a separate subject addressed by my colleagues in myofunctional therapy.
After combining the ideas of all the preceding experts on airway and facial development, it becomes clear that we need to do everything possible to develop faces forward and treat as early as possible.
Our patient had some improvement in his sleep, and his mother reported that he was now sleeping with his lips together, which had not been the case prior to the lateral expansion. She felt that his sleep was better, but not even close to what she wanted for him. We had originally suggested that Orthotropics® to develop both jaws forward would probably need to follow the “arch development” (10 mm of upper and lower lateral expan sion). His parents strongly supported developing both jaws for ward, and that treatment is ongoing at this time. Will he respond with a favorable outcome as the previous patient mentioned? There are no promises, but doing nothing is no longer an option for me when I know the negative health consequences of ignor ing an obvious sleep/breathing problem. I’d rather try and fail than ignore an obvious problem.
Many in the profession will view this type of treatment with horror since they were taught that advancing teeth will cause recession and possible tooth loss. Anyone concluding that will be ignoring seven articles in the refereed literature reporting this will not occur.16-22 With my own near 40-year experience advancing teeth in the permanent, mixed, and primary dentition, I have not found the drawbacks I had been warned about in my orthodontic residency.
We are in our infancy for understanding these issues. We sorely need more research and innovation to develop approaches, which might be more effective than the approaches that have been developed so far. Research to develop such protocols will never come unless there is a general awareness of the airway (and facial esthetics) and commitment from our profession to find solutions.
Articles on the future of the orthodontic profession abound. Indeed the recent AAO meeting addressed that very subject. COVID-19 has given a great boost to companies marketing aligners directly to the public, and the profession is opposing this trend. Some in the profession have admitted that there is little science to show long-term health benefits of traditional ortho dontic care and suggested approaches to compete with directto-consumer orthodontics.23 I view these efforts to be futile in the long run. Student debt of those coming out of orthodontic residencies is reported to be above $420K. Many new gradu ates are struggling to survive. I’ve had a number of people report Internet discussions by young orthodontists wondering if they should have bothered specializing. Might there be a solution to this obvious problem that would open the door for a much brighter future for orthodontists?
The ADA has opened the door for the orthodontic profession to transition into an actual health care profession focusing on airway with the potential to improve the health of our very young children. As noted earlier, the late Dr. Christian Guilleminault and other sleep physicians have carefully described the serious health issues at stake for our kids and called for us to act. No one has all the answers as to how this might play out. Will the profession accept this invitation to refocus the goals of our treat ment toward improving the airway in growing children, or will it continue to focus on making teeth straight for adolescents? Will another group, like the pediatric dental profession, step up to the plate to assume this responsibility if the orthodontic profession doesn’t?
From my perspective, orthodontists have been given an engraved invitation to assume leadership, but we’ve not even opened the envelope to see what is inside. The future health of our children (and of the orthodontic profession) depends on us opening that envelope and deciding to act. I believe we were at a crossroads over 100 years ago when orthodontists were more concerned about overall health and treated early with a focus on establishing proper rest oral posture. The profession took the other road, which was treating symptoms (crooked teeth) and waiting until all the permanent teeth were erupted. Looking crit ically at the health issues facing our children, we now have the opportunity to make a different choice — to treat early, refocus the goal from the teeth to the patient’s overall health, and lead the way in making dentistry the literal center of healthcare. Will we do that? The profession and our patients will prosper if we do. Do we have the collective courage to make this choice? Time will
OP
of Delegates; The Role of Dentistry in the Treatment of Sleep Related Breathing Disorders. Adopted by ADA’s 2017 House of Delegates; 2017.
2. Harper RM, Kumar R, Ogren JA, Macey PM: Sleep-disordered breathing: effects on brain structure and function. Respir Physiol Neurobiol. 2013;188(3):383-391.
3. Cooper PW Jr. Why?: African American children cannot read. iUniverse; 2009.
4. Remmers J. Personal Communication. Scottsdale, AZ.
5. Lieberman DE. The evolution of the human head. Harvard University Press. 2011.
6. Corruccini RS. How anthropology informs the orthodontic diagnosis of malocclusion’s causes. Edwin Mellen Pr; 1st ed; 1999.
7. Guilleminault C Personal Observation, American Association of Orthodontists. Marco Island, FL.
8. Keim RG, Vogels III DS, Vogels PB. J Clin Orthod. 2020;54(10):581-610.
9. Bogue EA, Orthodontia on the deciduous teeth. The Dental Digest. 1912; n* 10, 11, 12.
10. Cohen SA. Malocclusion and its far-reaching effects. JAMA. 1922;79(23):1895-1897.
11. Philippe J. Who introduced early treatment to orthodontics?. Journal of Dentofacial Anomalies and Orthodontics. 2012;15(1):107.
12. Mew J. The cause and cure of malocclusion. Published by John Mew, Braylsham Cas tle, Broad Oak, Heathfield. United Kingdom .
13. Singh GD, Garcia-Motta AV, Hang WM. Evaluation of the posterior airway space fol lowing biobloc therapy: geometric morphometrics. Cranio. 2007:25(2):84-9.
14. Sheldon SH, Kryger MH, Gozal D, Ferber R. Principles and practice of pediatric sleep medicine, 2nd ed. Elsevier Saunders; 2014.
15. Quo SD, Hyunh N, Guilleminault C. Bimaxillary expansion therapy for pediatric sleep-disordered breathing. Sleep Med. 2017;30:45-51.
16. Melsen B, Allais D. Factors of importance in development of dehiscences during labial movement of manciular incisors: A retrospective study of adult orthodontic patients. Am J Orthod Dentofacial Orthop. 2005;127:552-61.
17. Artun J, Grobety D. Periodontal status of mandibular incisors after orthodontic advancement. Am J Orthod Dentofacial Orthop. 2001;119(1).
18. Aziz T, Flores-Mir C, A systematic review of the association between appliance -induced labial movement of mandibular incisors and gingival recession. Aust Orthod J. 2011;(1):33-39.
19. Kasha A Gingival recession and labial movement of lower incisors. Evil Based Dent. 2013;14(1):21-2.
20. Renkema AM, Navratilova Z, Mazurova K, et al. Gingival labial recessions and the post-treatment proclination of mandibular incisors. Eur J Orthod. 2015;37(5):508-513.
21. Ruf S, Hanse K, Panthers H Does orthodontic proclination of lower incisors in children and adolescents cause gingival recession? Am J Orthod Dentofacial Ortho. 1998;114(1):100-106.
22. Morris JW, Campbell PM, Tadlock LP, et al. Prevalence of gingival recession after orthodontic tooth movements. Am J Orthod Dentofacial Ortho. 2017;151(5):851-859.
23. Ackerman M, Burris B. The way it was, the way it ought to be, the way it is, and the way it will be. Am J Orthod Dentofacial Orthop. 2018;13(2):165-166.
HANG
1. Dr. Christian Guilleminault stated that establishing ________ at the earli est age possible was critical for optimizing dentofacial growth and future
a.health.100% nasal breathing
b. 100% mouth breathing
c. 50% nasal breathing and 50% mouth breathing d. 80% mouth breathing and 20% nasal breathing
2. A 2020 Journal of Clinical Orthodontics (JCO) survey shows the respond ing orthodontists recommended ________ for a first orthodontic exam as per the AAO guidelines.
a. age 5 b. age 7 c. age 8 d. age 10
3. (According to the 2020 Journal of Clinical Orthodontics (JCO) survey) _________was the recommended age to begin orthodontic treatment. a. Five years old b. Eight years old c. Eleven years old d. Twelve years old
4. After combining the ideas of all the preceding experts on airway and facial development, it becomes clear that we need to do everything pos sible to develop faces forward and treat ________.
a. as early as possible b. only after the onset of puberty c. until their adult dentition d. only if it is an emergency
5. In 1912, Bogue recommended treatment to widen the dental arches
a.________.asyoung as 3 years of age b. prior to age six c. in their teenage years d. as adults
6. Cohen stated in 1922, “Treating the dental deformity before the sixth year insures ________, since the width of the maxillary arch determines whether or not there is room for normal nasal breathing.”
a. good mouth functioning b. correct breathing c. no braces will be needed at an older age d. both a and b
Each article is equivalent to two CE credits. Available only to paid subscribers. Free subscriptions do not qualify for the CE credits. Subscribe and receive up to 16 CE credits for only $149; call 866-579-9496, or visit https://orthopracticeus.com/subscribe/ to subscribe today.
n To receive credit: Go online to https://orthopracticeus.com/continuingeducation/, click on the article, then click on the take quiz button, and enter your test answers.
AGD Code: 430
Date Published: September 12, 2022
Expiration Date: September 12, 2025
7. As recently as 1931, L. De Coster recommended beginning treatment as young as ________.
a. 3 years of age b. 4 years of age c. 5 years of age d. 6 years of age
8. ___________ has developed a protocol and advocated for treatment to develop both jaws forward in young growing children under age 10.
a. Dr. John Remmers b. Dr. Ronald Harper c. Dr. John Mew d. Dr. Philip Cooper
9. Research in 2007 by Singh, Garcia-Motta, and Hang found a ________.
a. 23% increase in the airway at the dorsum of the palate, 31% increase at the base of the tongue, and 9% increase in the laryngopharyngeal area
b. 9% increase in the airway at the dorsum of the palate, 23% increase at the base of the tongue, and 31% increase in the laryngopharyngeal area c. 31% increase in the airway at the dorsum of the palate, 23% increase at the base of the tongue, and 9% increase in the laryngopharyngeal area d. 31% increase in the airway at the dorsum of the palate, 9% increase at the base of the tongue, and 23% increase in the laryngopharyngeal area
10. Looking critically at the health issues facing our children, we now have the opportunity to make a different choice — _______.
a. to treat early b. to refocus the goal from the teeth to the patient’s overall health c. to lead the way in making dentistry the literal center of healthcare d. all of the above
To provide feedback on CE, please email us at education@medmarkmedia.com
Legal disclaimer: Course expires 3 years from date of publication. The CE provider uses reasonable care in selecting and providing accurate content. The CE provider, however, does not independently verify the content or materials. Any opinions expressed in the materials are those of the author and not the CE provider. The instructional materials are intended to supplement, but are not a substitute for, the knowledge, skills, expertise and judgement of a trained healthcare professional.
Mostdentists, regardless of experience, understand the dangers of oral breathing.1 Yet there is currently no standardized procedure for dentists to identify mouth breathing in their pediatric or adult patients. Moreover, a vital step is missing in the long-term treatment of nasal obstruction. Patients with oral breathing are left frustrated as they experience bad breath, tooth decay, and malocclusion, despite careful brushing. Toothbrush use is the most important measure for oral hygiene.2 However, when patients breathe through the mouth for part of the day or night, even the most meticulous brushing cannot prevent problems.
In a 2019 letter to the American Dental Association, den tists, including Drs. Kevin Boyd and Steve Carstensen, urged awareness, stating: “Our young patients’ health is connected to their ability to take every breath through their noses, keep their mouths closed, and shape the growing craniofacial respiratory complex by proper tongue placement during swallowing.”3
It’s time to connect the dots and add simple breathing reeducation techniques to the dental tool kit — to ensure better long-term outcomes for oral and whole-body health.
The prevalence of mouth breathing is understudied, but the figures we do have are significant. One 2020 study reported that 17.2% of patients aged 3 to 83 years primarily breathed through an open mouth.4 Previous research in children identified that about 55% were mouth breathers.5,6 A recent cross-sectional study of children aged between 6 and 12 years found that 51% were “mixed breathers,” meaning they breathed through the mouth at least some of the time.7
This self-instructional course for dentists aims to ensure better long-term outcomes for oral and whole-body health through proper breathing.
Orthodontic Practice US subscribers can answer the CE ques tions by taking the quiz online at orthopracticeus.com to earn 2 hours of CE from reading this article. Correctly answering the questions will demonstrate the reader can:
• Recognize signs of oral breathing in adults and children.
• Realize consequences of untreated mouth breathing for dental health.
• Identify why surgery often fails to resolve oral breathing.
• Identify steps to restore nasal breathing during wakefulness and sleep.
Patrick McKeown for the past 20 years has provided functional breathing training for children and adults to decongest the nose and restore nasal breathing during rest, exercise, and sleep. He is fellow of the Royal Society of Biology in the UK, founder of Buteyko Clinic International, and creator of the Oxygen Advantage® method. Patrick McKeown is the founder of MyoTape™ — the only lip tape that goes around the mouth instead of sealing the lips.
Disclosure: Patrick McKeown is the founder of Buteyko Clinic International and MyoTape™.
There is increasing evidence that oral breathing contributes to dental conditions such as gum disease, halitosis, and cavities. There’s a serious cost to overall well-being too.
When saliva dries up due to mouth breathing, the acidity of the mouth increases. Acid-producing bacteria thrive, and the buffering capacity of saliva is compromised. This contributes to plaque and tartar buildup,8 oral thrush,9 and mineral loss10 from
the surface of the teeth leads to dental caries. Studies in children have shown sta tistically significant correlations between mouth breathing and halitosis.11 In adults, dry mouth, is linked with obesity, arterial hypertension, and hyperglycemia.12
It’s important to note that mouth breathing does not need to be constant for problems to occur. The researchers in one study refer to mixed oronasal breathing as “one of the most deleterious habits” in terms of malocclusion.7 Another study reports that when increased separation of the lips or decreased upper lip coverage is present, plaque and gingivitis are likely to be more severe.13
The effects of oral breathing go beyond dental health. As the Norwegian orthodontist Dr. Egil Harvold discovered in his experiments on monkeys, mouth breathing during childhood causes irreversible changes to facial growth.14 It negatively affects the development of the nasal airway,15 potentially lead ing to a lifetime of breathing and associated health problems. These include cardiovascular disorders, sleep disorders, physical pain, and even sexual dysfunction. Oral breathing plays a role in speech disorders,16 postural changes,17 and sleep-disordered breathing that can result in cognitive impairment in children.18 Children with obstructive sleep apnea typically display swollen adenoids and tonsils, malocclusion, and craniofacial abnormal ities,9 which further increase the risk of dry mouth and mouth breathing. There is a relationship between oral breathing, atopic dermatitis, and tonsillitis.20 Mouth breathers also experience behavioral changes, including poor concentration, daytime sleepiness, anxiety, restlessness, and bad moods.1
One of the problems facing dentists is that oral breathing can be difficult to diagnose, especially if the nose is not physically blocked.Inone survey of orthodontists in Brazil, the main diagnostic criteria for oral breathing were body posture (97.8%), lip com petence (96.7%), and dark circles under the eyes (86.7%). The interviewees associated disease most strongly with the duration of mouth breathing.1 Patients who had breathed orally for longer showed more obvious symptoms.
There are certain markers that can help differentiate between habit and organic obstruction. Pacheco, et al., suggest detailed clinical guidelines for the identification of mouth breathing in children.21 The same procedure can be followed with adults.
With the patient seated, look for the following:
• Dark eye circles
• Postural changes such as a forward head thrust
• A long face (often with a recessed chin and a bent nose)
With the patient standing, look for the following:
• A high narrow palate
• Gingivitis in the maxillary incisors
• Anterior open bite
You can ask the patient (or the parent on the child’s behalf):
• Do you snore?
• Do you awake with a dry mouth in the morning?
• Do you drool on your pillow?
• Do you awake with a headache?
• Do you toss and turn during the night or wet the bed?
• Are you frequently tired during the day?
• Do you often have a stuffy, runny, or blocked nose, and/ or runny nose?
• Do you often have allergies?
• Is it hard for you to concentrate?
• Do you struggle at work/school?21
New research identifies the presence of an atypical swal lowing habit as the key link between habits that promote dental malocclusion of the vertical, transverse, and sagittal planes.7 Atypical swallowing suggests poor tongue function and is related to oral breathing. When the mouth is open, the normal resting position of the tongue is compromised. Over time, this affects function and strength in the tongue muscles.
You can also perform breathing tests to identify mouth breathing in your patients. The lip seal test in which the patient’s mouth is sealed with medical tape for 3 minutes4,21 has been proven to provide an objective screening tool. It allows the orthodontist to identify whether mouth breathing is caused by physical nasal obstruction or habit. Around 93% of people will be able to breathe through the nose. Even among habitual mouth breathers, more than 83% can breathe nasally for 3 minutes.4
Chronic mouth breathing often starts as the result of nasal obstruction that blocks the airway and makes nose breathing uncomfortable. In newborn babies, nasal obstruction is very rare.22 But during childhood, swollen adenoids and/or tonsils, or other conditions that block the nose22 prompt oral breathing. Around 40% of children in the United States have allergic rhi nitis.22 In adults, as many as 63% have some type of rhinitis.23 Mouth breathing may also be caused by a deviated nasal sep tum, cleft palate, or a tongue-tie or lip-tie that make breastfeed ing difficult. Tongue-tie may also cause abnormal swallowing, which as we’ve seen, is a risk factor for dental problems.7
The initial cause of mouth breathing may be physical obstruc tion or anatomical predisposition. But it is not enough to simply decongest the nose, remove the adenoids/tonsils, or perform tur binate reduction surgery. It is vital that mouth breathing behavior is changed. In most cases, after mechanical factors are removed, mouth breathing continues because it has become habitual.1
Mouth breathing in children and adults ... has major implications for craniofacial development in children, and it contributes to gum disease, dental cavities, and bad breath — all problems the dentist works to resolve.
Mouth breathing can itself be the cause of nasal stuffiness, and so it becomes a self-perpetuating problem. It is essential, there fore, to retrain the breathing to prevent the problem recurring.
In 1994, I had turbinate reduction surgery to alleviate years of chronic nasal congestion. After surgery, there was no instruction to breathe through my nose. I continued to have sleep disorders for several years until I read an article about the importance of nasal breathing. My experience is far from unique. Dr. Christian Guilleminault, who is considered a founding father of sleep medi cine, reported that the persistence of mouth breathing after adenotonsillectomy contributes to progressive worsening of sleep apnea. This frequently occurs within 3 years of surgery.24 Mouth breathing during sleep causes increased apneas and hypopneas, and worse oxygen desaturation.25 Dr. Guilleminault stated that successful treatment of pediatric obstructive sleep apnea and sleep-disordered breathing depends on the restoration of con tinuous nasal breathing during wakefulness and sleep.24 Without this vital step, surgery is a short-term fix.
The nasal obstruction that causes oral breathing can be addressed using breathing exercises to reduce the speed and volume of the breath and restore full-time nasal breathing. Rhi nitis, for instance, which is the most frequent cause of nasal con gestion, can be significantly reduced with this type of breathing retraining.26 Despite Dr. Guilleminault’s research, I am aware of very few ENT specialists who offer a nasal breathing program to support full recovery post-surgery.
Breathing re-education involves simple exercises designed to decongest the nose and restore normal breathing patterns. By showing children and adults how to decongest the nose, the dentist can help remove the feeling of air hunger that accompanies nasal congestion. Practice of specific breathing patterns optimizes breathing. This makes it comfortable and effortless for the child or adult to breathe through the nose.
To ensure nasal breathing during sleep, it is necessary to tape the mouth with a specialist lip tape or a medical paper tape such as lip seal, 3M™ Micropore™ Surgi cal Tape, or MyoTape™. MyoTape is my own product. It is designed to be different from other lip tapes. The tape does not cover the mouth, meaning it is still possible to open the mouth to breathe if necessary. This is essential if using lip tape with a child or a patient who is fearful of suffocation.
Children aged 5 years and older can be encouraged to wear MyoTape for 15 to 30 minutes a day during rest. This works well when the child is distracted — playing, watching TV, or using a tablet. MyoTape is elasticated and gently brings the lips together. When the child opens the mouth to breathe, the tape gently reminds the child to breathe only through the nose. This helps change the mouth breathing behavior.
This exercise can be used any time the nose becomes blocked. To achieve long-term results, it should be followed with regular practice of breathing exercises to restore functional, nasal breathing. (Please don’t practice if you are pregnant, have sleep apnea, or have serious medical conditions.)
• Take a silent breath in through your nose if you can. If you can’t breathe in through your nose, take a small sip of air in through the corner of your mouth.
• Release a silent breath out through your nose (or the cor ner of your mouth).
• After the exhalation, pinch your nose to hold your breath. Keep your mouth closed.
• With your breath held, gently nod your head, or sway your body from side to side.
• Do this until you feel you cannot hold your breath any longer. You will feel quite a strong “hunger” or need for air.
• Let go of your nose, and breathe gently in through it. Keep your mouth closed, and avoid taking a large breath. Calm your breathing by focusing on relaxation.
• If your nose is still blocked, wait around a minute, and repeat the exercise.
• You may need to do the exercises several times before your nose is completely clear.
You can test the difference in airflow before and after the exercise by perform ing a “fog” test using your smartphone screen or a small mirror.
You will find a version of this exercise for children on the ButeykoClinic app, which is available on android and iTunes. The app features a complete program of children’s breathing exercises, free of charge.
Mouth breathing in children and adults is not innocuous. It has major implications for craniofacial development in children, and it contributes to gum dis ease, dental cavities, and bad breath — all problems the dentist works to resolve. To ensure a better service with the best longterm outcome for patients, it is imperative that dentists advise their pediatric and adult patients to breathe through the nose during rest, sleep, and exercise.
OP
1.REFERENCESMenezes VA, Cavalcanti LL, Albuquerque TC, Garcia AFG, Leal RB. Mouth breathing within a multidisciplinary approach: Perception of orthodontists in the city of Recife, Brazil. Dental Press J Orthod. 2011;16(6):84-92.
2. Hitz Lindenmüller I, Lambrecht JT. Oral care. In: Surber C, Elsner P, Farage MA (eds). Current Problems in Dermatology Vol 40. Karger Publishers; 2011.
3. Carstensen S, Boyd K, Colquitt T, Cruz M, Raphael B. Promoting children’s oral health. J Am Dent Assoc. 2019;150(5):327.
4. Zaghi S, Peterson C, Shamtoob S, et al. Assessment of nasal breathing using lip taping: a simple and effective screening tool. International Journal of Otorhinolaryngology. 2020;6(1):10.
5. Abreu RR, Rocha RL, Guerra ÂFM. Prevalence of mouth breathing among children. J Pediatr (Rio J). 2008;84(5):467-70.
6. Felcar JM, Bueno IR, Massan ACS, Torezan RP, Cardoso JR. Prevalência de respiradores bucais em crianças de idade escolar. [Prevalence of mouth breathing in children from an elementary school] [Article in Portuguese] Cien Saude Colet. 2010;15(2):437-444.
7. Rodríguez-Olivos LHG, Chacón-Uscamaita PR, Quinto-Argote AG, Pumahualcca G, Pérez-Vargas LF. Deleterious oral habits related to vertical, transverse and sagittal den tal malocclusion in pediatric patients. BMC Oral Health. 2022;22(1):88.
8. Can a dry mouth cause cavities? [blog] Edwards Family Dentistry. https://www.westlit tlerockdentist.com/can-a-dry-mouth-cause-cavities/. Accessed July 5, 2022.
9. An overview of dry mouth. WebMD. https://www.webmd.com/oral-health/guide/den tal-health-dry-mouth. Accessed July 5, 2022.
10. Su N, Marek CL, Ching V, Grushka M. Caries prevention for patients with dry mouth. J Can Dent Assoc. 2011;77:b85.
11. Alqutami J, Elger W, Grafe N, et al. Dental health, halitosis and mouth breathing in 10-to-15 year old children: A potential connection. Eur J Paediatr Dent. 2019;20(4): 274-279.
12. Pérez-González A, Suárez-Quintanilla JA, Otero-Rey E, et al. Association between xerostomia, oral and general health, and obesity in adults. A cross-sectional pilot study. Med Oral Patol Oral Cir Bucal. 2021;26(6):e762-e769.
13. Gulati MS, Grewal N, Kaur A. A comparative study of effects of mouth breathing and normal breathing on gingival health in children. J Indian Soc Pedod Prev Dent. 1998; 16(3):72-83.
14. Harvold EP, Tomer BS, Vargervik K, Chierici G. Primate experiments on oral respira tion. Am J Orthod. 1981;79(4):359-372.
15. Kalaskar R, Balasubramanian S, Kalaskar A. Correlation and comparative evaluation of nasal index and nasal cavity volume in nasal and mouth breathers: A preliminary cone-
beam computed tomographic study. J Indian Soc Pedod Prev Dent. 2022;40(1):48-54.
16. Hitos SF, Arakaki R, Solé D, Weckx LL. Oral breathing and speech disorders in chil dren. J Pediatr (Rio J). 2013;89(4):361-365.
17. T Neiva PD, Franco LP, Kirkwood RN, Becker HG. The effect of adenotonsillectomy on the position of head, cervical and thoracic spine and scapular girdle of mouth breathing children. International Journal of Pediatric Otorhinolaryngology. 2018;107:101-106.
18. Boyd A, Golding J, Macleod J, et al. Cohort Profile: the ’children of the 90s’--the Index Offspring of The Avon Longitudinal Study of Parents and Children. Int J Epidemiol. 2013;42(1):111-127.
19. Tamasas B, Nelson T, Chen M. Oral health and oral health-related quality of life in children with obstructive sleep apnea. J Clin Sleep Med. 2019;15(3):445-452.
20. Lee DW, Kim JG, Yang YM. Influence of mouth breathing on atopic dermatitis risk and oral health in children: A population-based cross-sectional study. J Dent Sci. 2021; 16(1):178-185.
21. Pacheco MCT, Casagrande CF, Teixeira LP, Finck NS, Araújo MTM de. Guidelines proposal for clinical recognition of mouth breathing children. Dental Press J Orthod. 2015;20(4):39-44.
22. Trabalon M, Schaal B. It takes a mouth to eat and a nose to breathe: abnormal oral respiration affects neonates’ oral competence and systemic adaptation. Int J Pediatr. 2012;2012:207605.
23. Savouré M, Bousquet J, Jaakkola JJK, et al. Worldwide prevalence of rhinitis in adults: A review of definitions and temporal evolution. Clin Transl Allergy. 2022;12(3):e12130.
24. Lee SY, Guilleminault C, Chiu HY, Sullivan SS. Mouth breathing, “nasal disuse,” and pediatric sleep-disordered breathing. Sleep Breath. 2015;19(4):1257-1264.
25. Hsu YB, Lan MY, Huang YC, Kao MC, Lan MC. Association between breathing route, oxygen desaturation, and upper airway morphology. Laryngoscope. 2021;131(2): E659-E664.
26. Adelola OA, Oosthuizen JC, Oosthuiven JC, Fenton JE. Role of Buteyko breathing technique in asthmatics with nasal symptoms. Clin Otolaryngol. 2013;38(2):190-191. Sleep Education that fits your schedule
The Academy of Clinical Sleep Disorder Disciplines is the only organization offering a fully online and on-demand certificate in Dental Sleep Medicine. Study the lectures and course materials at your own pace, then when you are ready, take the exam. 12 modules present both the medical and dental science of sleep medicine providing a solid foundation for understanding clinical applications. Most dentists are able to complete the 13 CE program in 4-6 months. The certificate is a prerequisite for ACSDD Fellow and Diplomate
The Academy of Clinical Sleep Disorders Disciplines is the only organization offering a fully online and on-demand certificate in Dental Sleep Medicine. Study the lectures and course materials at your own pace, then when you are ready, take the exam. The C.DSM certificate from ACSDD provides the necessary medical and dental knowledge to confidently approach physicians and seek insurance reimbursement. The certificate is a prerequisite for ACSDD Fellow and Diplomate.
The Academy of Clinical Sleep Disorders Disciplines (ACSDD) is an ADA CERP Recognized Provider.
ADA CERP is a service of the American Dental Association to assist dental professionals in identifying quality providers of continuing dental education. ADA CERP does not approve or endorse individual courses or instructors, nor does it imply acceptance of credit hours by boards of dentistry. Concerns or complaints about a CE provider may be directed to the provider at info@acsdd.org or to ADA CERP at www.ada.org/goto/cerp.
This program has been submitted for approval by the ACSDD for a maximum of 13 credits as meeting general dental requirements.
1. Patients with oral breathing are left frustrated as they experience _______, despite careful brushing.
a. bad breath b. tooth decay c. malocclusion
d. all of the above
2. One 2020 study reported that ________ of patients aged 3 to 83 years primarily breathed through an open mouth.
a. 17.2%
b. 34.2%
c. 46.2%
d. 57.6%
3. As the Norwegian orthodontist ________ discovered in his experiments on monkeys, mouth breathing during childhood causes irreversible changes to facial growth.
a. Birgit Thilander b. Dr. Egil Harvold c. Arne Bjork d. Kevin Boyd
4. _________ negatively affects the development of the nasal airway, poten tially leading to a lifetime of breathing and associated health.
a. Mouth breathing b. Nasal breathing c. Combining nasal and mouth breathing d. Poor nutrition
5. Oral breathing plays a role in ___________ that can result in cognitive impairment in children.
a. speech disorders
b. postural changes
c. sleep-disordered breathing
d. all of the above
6. In one survey of orthodontists in Brazil, the main diagnostic criteria for oral breathing were ___________.
a. lip competence (97.8%), body posture (96.7%), and dark circles under the eyes (86.7%)
b. body posture (97.8%), lip competence (96.7%), and dark circles under the eyes (86.7%)
c. dark circles under the eyes (97.8%), lip competence (96.7%), and body posture (86.7%)
d. lip competence (97.8%), dark circles under the eyes (96.7%), and body posture (86.7%)
Each article is equivalent to two CE credits. Available only to paid subscribers. Free subscriptions do not qualify for the CE credits. Subscribe and receive up to 16 CE credits for only $149; call 866-579-9496, or visit https://orthopracticeus.com/subscribe/ to subscribe today.
n To receive credit: Go online to https://orthopracticeus.com/continuingeducation/, click on the article, then click on the take quiz button, and enter your test answers.
AGD Code: 730
Date Published: September 12, 2022
Expiration Date: September 12, 2025
7. New research identifies the presence of as the key link between habits that promote dental malocclusion of the vertical, transverse, and sagittal planes.
a. tonsilitis b. adenoids c. an atypical swallowing habit d. anxiety
8. The lip seal test in which the patient’s mouth is sealed with medical tape for ________ has been proven to provide an objective screening tool. a. 3 minutes b. 5 minutes c. 6 minutes d. 10 minutes
9. _________ stated that successful treatment of pediatric obstructive sleep apnea and sleep-disordered breathing depends on the restoration of con tinuous nasal breathing during wakefulness and sleep.
a. Dr. Edward Angle b. Dr. Egil Harvold c. Dr. Christian Guilleminault d. Dr. Robert Ricketts
10. To ensure a better service with the best long-term outcome for patients, it is imperative that dentists advise their pediatric and adult patients to breathe ________.
a. through the mouth during rest, sleep, and exercise b. through the nose during rest, sleep, and exercise c. through the nose during sleep and the mouth during rest and exercise d. through the nose during sleep and rest and the mouth during exercise
To provide feedback on CE, please email us at education@medmarkmedia.com
Legal disclaimer: Course expires 3 years from date of publication. The CE provider uses reasonable care in selecting and providing accurate content. The CE provider, however, does not independently verify the content or materials. Any opinions expressed in the materials are those of the author and not the CE provider. The instructional materials are intended to supplement, but are not a substitute for, the knowledge, skills, expertise and judgement of a trained healthcare professional.
Every orthodontic textbook and countless articles about bracket placement have emphasized the importance of proper bracket positions. Still, there is no complete agreement regarding these locations, and in fact, orthodontists continue to receive rec ommendations that vary widely regarding this topic.1-4 The most favored technique of bracket placement remains direct bonding performed by the clinician at the chair. This presents several problems — for instance, correctly measuring and positioning of the brackets, maintaining a dry environment, controlling patient cooperation during the procedure plus the considerable amount of personal time doctors must devote to the task.
To obviate these problems and make the bonding appoint ment a faster, more comfortable, and pleasant experience for patients, doctors began to develop various indirect bonding procedures that offered more bracket placement accuracy and required less doctor chair time.5-11
Even so, many of the advantages offered by the indirect tech nique remain unattractive for a majority of orthodontic clinicians because of the expense, the necessity of taking and pouring of impressions or having models printed from digital intraoral scans, and the uncertainty of bracket adhesion to the enamel.
After 53 years of accepting hundreds of orthodontic trans fer patients, the problems the senior author has with bracket placement accuracy is not unique. It is a ubiquitous obstacle to achieving acceptable treatment outcomes. The offered technique via this article seeks to overcome the lack of accuracy so often found with direct bracket placement by using an instrument that was developed to simplify and ensure precision with the indirect bonding technique — the Boone Bracket Gauge and Marking Instrument first developed by the Ormco Co. and since imitated by various companies (DynaFlex Orthodontic Laboratory; St. Louis, Missouri) (Figure 1).
The Boone Bracket Gauge and Marking Instrument was used to mark the plaster cast with a vertical position for the bracket as seen in Figures 2 and 3.
Larry W. White, DDS, MSD, FACD, is a graduate of Baylor Dental College and Baylor Orthodontic Program and now has an orthodontic practice in Dallas, Texas.
Francesca Scilla Smith, DDS, MS, was born and raised in Arezzo, Italy. She graduated summa cum laude at the University of Florence Dental School and obtained her orthodontic degree from Nova Southeastern University College of Dental Medicine in Fort Lauderdale, Florida, with a master thesis on conventional and digitally driven indirect bonding. Dr. Scilla Smith practices orthodontics in Dallas, Texas.
Clinicians can use the same modified Boone Bracket Gauge with the lead stylus for a direct bonding technique that will compare favorably with the accuracy of the indi rect approach and also provide economy, certainty, and confidence.
We typically start patient therapies with partially bonded appliances — e.g., maxillary and mandibular 2 x 4 or 2 x 6 appliances (molars and incisors and in extraction patients, we add canine brackets) in order to take advan tage of the differential moments plus other advantages those arrangements offer as suggested by Mulligan.12 We ordinarily use molar bands, so, I will illustrate only the anterior bracket protocol for its clarity and ease of use in its application.
Bands are fitted and cemented before bonding the anterior teeth. The teeth to receive brackets are adjusted with an air turbine diamond tip or carbide bur to alter any chips or atypical features the teeth may have. Clean the teeth to be bonded with unflavored pumice, and then follow these steps:
• Incline the patient to a near horizontal position so that the doctor’s and assistant’s vision is almost at 90° to the enamel facial surface (Figure 4).
• Prepare the materials used in the bonding pro cedure — e.g. etch, sealants, activators, composite on brackets, etc. (Figure 5).
• Retract the cheeks with a preferred retractor.
• Etch the entire facial surfaces with 37% H3PO4 for 15-20 seconds.
• Rinse with water, and dry the teeth with an air syringe.
• Use a soft brush to gently apply Pro Seal® (Reliance Orthodontic Products; Itasca, Illinois), then wipe the brush dry on your glove and lightly brush the Pro Seal again to thin the layer and light-cure for 5-10 seconds.
• Use a brush to gently apply Assure® Plus (Reliance Ortho dontic Products) to the Pro Seal layer, wipe the brush on your glove, and again lightly brush the Assure Plus to thin the layer and light-cure the combined coatings on each tooth for 10 seconds.
• The dual light-curing will prevent the composite-loaded brackets from sliding.
• When the combined enamel coatings are cured, a 0.5 mm pencil lead will easily mark the center of each crown (Figure 6).
• Use a Boone Combo Gauge and Marking Instrument (DynaFlex Orthodontic Laboratory) to mark the bracket slot position on the lateral side of each crown (Figures 7 and 8); these marks easily erase with an alcohol-saturated cotton tip (Figure 9).
• Use the pencil marks to guide the placement of the brackets (Figure 10).
• Complete the direct-indirect bonding with the pencil marks erased and prepare for wire placements (Figure 11).
Conclusion
This merging of techniques offers several advantages in that it gives clinicians a visible target for the placement of brackets and no longer relies on guesswork or faulty manipulation of a bracket guide. Still, there are a few caveats about it. The first results when the excess bracket composite is not totally removed and covers a pencil mark as seen in Figure 11. Entrapment of pencil marks can also occur if the Pro Seal and/or Assure Plus is not com pletely light-cured before marking with the pencil. Clinicians can easily remove those defects with an air turbine polishing bur, but attention to technique can avoid this problem. A second will occur if clinicians allow ill-trained personnel to mark the teeth. This feature is the most important and requires maximum expertise and care. One other feature that clinicians should note is not to be discouraged. A learning curve with new techniques always occurs, but the importance of exact bracket placement
should motivate the orthodontist to master any system that offers improvement, economy, and patient comfort.
OP
1. Alexander RG. The Alexander Discipline. Ormco Co (ed). Ormco Co; 1986.
2. Andrews LF. Straight Wire, the Concept and Appliance. L.A. Wells Company; 1989.
3. Damon DH. Treatment of the Face with Biocompatible Orthodontics. In: Graber TM, Vanarsdall RL, Vig KWL. Orthodontics, Current Principles & Techniques. 10th ed. Else vier Mosby; 2005.
4. Pitts TR. Begin with the end in mind: Bracket placement and early elastics protocol for smile arc protection. Clinical Impressions. 2009;17(1):1-11.
5. Thomas R. Indirect bonding: simplicity in action. J Clin Orthod. 1979;13(2):93-106.
6. Hickham JH. Predictable indirect bonding. J Clin Orthod. 1993;27(4):215-217.
7. Kalange JT. Ideal appliance placement with APC brackets and indirect bonding. J Clin Orthod. 1999;33(9):516-526.
8. White LW. A new and improved indirect bonding technique. J Clin Orthod. 1999;33(1): 17-23.
9. White LW. An expedited indirect bonding technique. J Clin Orthod. 2001;35(1):36-41.
10. Kalange JT. Prescription-Based Precision Full Arch Indirect Bonding. Seminars in Orthodontics. 2007;13(1):19-42.
11. White LW. Creating confidence and certainty with indirect bonding. World J Orthod. 2009;10(2):17-22.
12. Mulligan TF. Common Sense Mechanics in Everyday Orthodontics. 2nd ed. CSM Pub lishing; 1998.
Figure 9: Erasing the pencil marks with an alcohol-soaked cotton swab Figure 10: Bonded maxillary arch ready for the archwire Figure 11: Pencil mark entrapped by excess composite.newest product, the New Patient Tracker, will be released in Fall 2022! This addition to the Gaidge suite of business solutions will allow practices to track new patients from the moment they call in through the time they convert into an active start! The New Patient Tracker will launch with Cloud 9 and Dolphin integrations as well as an easy-to-use manual entry functionality. Further integrations are planned after the initial release.
• Organize your admin team workflow with new patient task management.
• Create more efficient NP exams by cap turing info in one dashboard.
• Make conversion seamless with remote treatment acceptance.
• Ensure pending patients convert with cadenced follow-up actions.
• Uncover process improvements with detailed conversion reporting.
The New Patient Tracker features Task Management Dashboard
Offer organization and workflow manage ment for all patients in the start queue. Featur ing a comprehensive list of new patients and observation-ready patients with custom sorting capability to make it easy to organize all preand post-appointment tasks including:
• Tracking which patients have had their insurance verified and have submitted their forms.
• Seeing appointment confirmations to help reduce no-shows.
• Knowing which patients need follow-up action taken.
• Easily reviewing statuses and knowing where patients are in the conversion funnel.
• Viewing breakdown of treatment recommendations, out comes, contracts, and fees
Seamlessly display your treatment recommendations and fee options.•Allow patients to accept treatment at home via email.
• Provide patients with a user-friendly payment slider to allow them to tweak their down payment and monthly payments.
• Level up your payment presentation with polished visuals, including custom text, insurance details, and fee display.
View your critical Treatment and Observation Coordinator performance metrics in chart and graphical formats. Everything from conversion ratio to financials help you monitor starts achievement and individual performance.
• Performance: Evaluate case acceptance, starts, and exams by TC.
• Opportunity: View statistics for all pending patients and monitor follow-ups.
• Financials: Track contract amounts, initial fees, and pro duction by TC.
Contact us today for a free online demo by emailing Info@gaidge.com, visiting www.gaidge.com, or calling 800-287-3396.
OP
This information was provided by Gaidge.
Orthodontics has become the first line of defense for children who suffer from obstructive sleep apnea (OSA) and TMD issues. Your collabo ration with medical professionals is so important and lifesaving.Ihave authored a book and talked about this pre viously, but having grandchildren has really opened my eyes to how important proper breathing is from the minute a child is born. Did you know that parents can buy a foot monitor for the baby to wear every night until 1-year-old? In the Owlet Dream App, a sensor in a little bootie called the “Dream Sock” monitors the baby’s live heart rate and oxygen level, and an alarm will go off if there are any issues.1 The peace of mind that parents can get from knowing the baby is sleeping soundly or needs you is
Becauseamazing.parents are already aware of possible breath ing issues during babies’ sleep, collaborating with them may not be that difficult. It is also beneficial to have conversations with their pediatricians, since studies have shown that parents who have sleep or TMD issues have children with a higher risk.
The American Academy of Pediatrics Practice Guideline on diagnosis and management of childhood obstructive sleep apnea syndrome says that all children/adolescents should be screened for snoring.2
Christine Taxin is the founder and president of Links2Success, a practice management consulting company to the dental and medical fields. Prior to starting her own consulting company, Taxin served as an administrator of a critical care department at Mt. Sinai Hospital in New York City and managed an extensive multi-specialty dental practice in New York. With over 25 years’ experience as a practice management professional, she now provides private practice consulting services, delivers continuing education seminars for dental and medical professionals and serves as an adjunct professor at the New York University (NYU) Dental School and Resident Programs for Maimonides Hospital.Taxin is passionate about helping dental practices reach their highest potential and increase their profitability. In her consulting work, she focuses on helping practices strengthen their communication skills, their ability to work as a team and their capacity to set goals. As a provider of continuing dental education, Taxin has been a guest speaker for Henry Schein®, Kodak Dental, Sirona, and Goetze Dental. She has presented programs to the American Association of Dental Office Managers, the PennWell Dental Group, and the New York Academy of General Dentistry. The AGD has approved her company Links2Success as a national provider of PACE continuing education credits.
Are adult and childhood sleep apnea related?
The inheritance pattern of obstructive sleep apnea is unclear. Overall, the risk of developing this condition is about 50% greater for first-degree relatives (such as siblings or children) of affected individuals as compared to others.3
Pediatric obstructive sleep apnea and adult sleep apnea pres ent differently. While adults usually have daytime sleepiness, children are more likely to have behavioral problems. The under lying cause in adults is often obesity, while in children the most common underlying condition is enlargement of the adenoids and tonsils. Early diagnosis and treatment are important to pre vent complications that can affect children’s growth, cognitive development, and behavior.
Collaborating with pediatricians in your area is the best way to encourage parents to refer to your office.
Did you know that after COVID-19, some doctors are not even looking in the oral cavity at all? I have recommended mak ing a referral card for their patients. This list can help the pedia tricians help the children and benefit your practice.
The front of card should have your information with informa tion about why you can care for their children. The back of card can list the signs, symptoms, and risk factors of sleep-disordered breathingDuring sleep, signs and symptoms of pediatric sleep apnea might include:4
• Snoring
• Pauses in breathing
• Restless sleep
• Snorting, coughing, or choking
• Mouth breathing
• Nighttime sweating
• Bed-wetting
• Sleep terrors
Infants and young children with obstructive sleep apnea do not always snore. They might just have disturbed sleep.
During the day, children with sleep apnea might:
• Perform poorly in school
• Have difficulty paying attention
• Have learning problems
• Have behavioral problems
• Have poor weight gain
• Be Besideshyperactiveobesity,other risk factors for pediatric sleep apnea include having:4
• Down syndrome
• Abnormalities in the skull or face
• Cerebral palsy
• Sickle cell disease
• Neuromuscular disease
• History of low birth weight
• Family history of obstructive sleep apnea
Aetna® considers oral appliances or functional orthopedic appliances medically necessary in the treatment of children with craniofacial anomalies with signs and symptoms of OSAS.
Aetna considers oral appliances or functional orthopedic appliances experimental and investigational for treatment of OSAS in otherwise healthy children. There is insufficient evi dence that oral appliances or functional orthopedic appliances are effective in the treatment of OSAS in healthy children.
Note: Some medical plans, including new plans and non-grandfathered plans subject to Patient Protection and Affordable Care Act requirements, cover medically necessary orthodontic services for children and adolescents under a pedi atric oral health benefit. Please check benefit plan descriptions. Under these plans, comprehensive orthodontic services are con sidered medically necessary for children and adolescents who have a severe handicapping malocclusion related to a medical condition such as:
• Cleft palate or other congenital craniofacial or dentofacial malformations requiring reconstructive surgical correction in addition to orthodontic services; or
• Trauma involving the oral cavity and requiring surgical treatment in addition to orthodontic services; or
• Skeletal anomaly involving maxillary and/or mandibu lar structures
To be considered medically necessary, orthodontic services must be needed to treat, correct, or ameliorate a medical defect
or condition, and an essential part of an overall treatment plan developed by both the physician and the dentist in consultation with each other.
Orthodontic treatment is not considered medically necessary for dental conditions that are primarily cosmetic in nature or when self-esteem is the primary reason for treatment.
There is a form to evaluate the conditions that may or may not qualify patients for coverage of medically necessary ortho dontic services.
Comprehensive medically necessary orthodontic services are covered for members who have a severe handicapping malocclusion related to a medical condition. Establishment of medical necessity requires documentation to support the severe handicapping malocclusion and medical condition status. To qualify for coverage, a score of 42 points or greater on the Mod ified Salzmann Index is needed. Documentation must include a completed Salzmann Evaluation Form and a written report from the attending physician, pediatrician, or qualified medical spe cialist(s) treating the deformity/anomaly.
For your convenience, download the Salzmann Evaluation Form with instructions for completion.5 For more information on a plan that covers medical for orthodontic treatment visit http:// www.aetna.com/cpb/medical/data/1_99/0082.html, and read the entire contract. Learn how to use a Salzman Index so you are ready with the medical necessity issues needed for payment.
1.REFERENCESOwlet.https://www.owletcare.com/. Accessed July 26, 2022.
2. Marcus CL, Brooks LJ, Davidson Ward S, et al. Diagnosis and Management of Child hood Obstructive Sleep Apnea Syndrome. Pediatrics. 2012;130(3):e714–e755.
3. Medline Plus. Obstructive Sleep Apnea. https://medlineplus.gov/genetics/condition/ obstructive-sleep-apnea/. Accessed July 26, 2022.
4. Mayo Clinic. Pediatric obstructive sleep apnea. 2022.conditions/pediatric-sleep-apnea/symptoms-causes/syc-20376196.https://www.mayoclinic.org/diseases-AccessedJuly26,
5. Aetna. Salzmann Evaluation Form. ubmission-guidelines/salzmann-evaluation-form.html.https://www.aetnadental.com/professionals/claim-sAccessedJuly26,2022.
6. Perikleous E, Steiropoulos P, Tzouvelekis A, et al. DNA methylation in pediatric obstructive sleep apnea: An overview of preliminary findings. Front Pediatr. 2018;6: 154.
7. Pettitt-Schieber B, Tey CS, Nemeth J, Raol N. Echocardiographic findings in children with obstructive sleep apnea: A systematic review. Int J Pediatr Otorhinolaryngol. 2021; 145:110721.
Early diagnosis and treatment are important to prevent complications that can affect children’s growth, cognitive development, and behavior.
Technologies is a forward-thinking innovation company dedicated to improving the orthodontic experi ence of both patient and orthodontist.
The Brava™ Independent Mover™ System is the first orthodontic system to provide simultaneous, independent tooth movement, a radical departure from tra ditional mechanics. Brava’s optimized AI-driven biomechanics result in an esthetically superior, personalized, conve nient, highly effective treatment.
After seeing patients struggle with long treatment times, multiple office vis its, and lack of confidence while wearing braces, Dr. Mehdi Peikar — orthodontist, physicist, and Brius cofounder — was determined to develop a new orthodon tic system. This system would need to be effective, esthetically pleasing, free of the painful inconvenient monthly adjustments, and without the patient compliance challenge of aligners. Cap italizing on his background in physics, mathematical modeling, material science, and AI, Dr. Peikar and the Brius team brought to life the revolutionary Brava Independent Mover System that meets all those needs.
Brava consists of an anchorage base and flexible NiTi arms that connect independently to each tooth via a bracket. Unlike traditional bracket systems that can cause unwanted tooth move
ment and round-tripping, Brava’s reactive forces translate to its anchorage base, which then dissipate along the entire arch. With clinically insignificant reactive forces, the AI preprogrammed into Brava puts each tooth on an independent path to its planned position. The movement of any tooth has little to no effect on any other tooth.
• Leveraging a digital workflow (digital scan, setup, and approval process), the Brava Independent Mover System utilizes proprietary Brius Planner Software, which con siders ethnicity, age, gender, and root morphology to calculate the precise force and moment to move every tooth for each patient.
• The entirety of tooth movement is pro grammed into one device, and the light, con tinuous force is active throughout the course of treatment. For many patients, one Brava is adequate to complete mild-to-moderate com plex cases in as few as four appointments.
• There is no need for wire progressions or to wait until engaging larger wires to begin A/P correction, and there is no limitation on the types of cases the system can treat.
• With AI to further customize treatment for tomorrow’s patients, Brava is built for now and the future.
Not braces. Not aligners. Independent Movers. To learn more about this exciting, technological revolution, visit www.brius.com.
This information was provided by Brius™.
OP
This patented biomechanical approach allows for independent and simultaneous movement and is hidden behind the teeth. Bespoke design leverages artificial intelligence to pre-program the precise moment and force for each tooth of each patient. The result is effective, efficient and aesthetic treatment. Not Braces. Not Aligners. Independent Movers™
Formany in the world of healthcare, pricing is low on the list of priorities. It simply isn’t an enjoyable element to grap ple with, especially for those who entered the industry to pursue their passion for helping people. While others thrive in the numbers side of the business, pricing is a game of constant adjustment. It has to be evaluated and reevaluated consistently to stay com petitive and relevant. You must be able to retain current patients and attract new ones. Balance must be achieved, and it is seldom easy to nail.
There are many strategies designed to facilitate the best, most effective ways to price your services. Entire subsets of psychology are dedicated to studying various aspects of pricing and how they affect consumer habits. In other words, you could dive very deep into the minute details of pricing psychology. We selected three primary pricing strategies to highlight. Check them out below.
Customers should pay before using your product. For starters, you are more likely to get paid, which is always nice. Prelec and Lowenstein, 1998, found that customers are generally happier prepaying as it gives them the opportunity to look forward to the benefit.1 If they already consumed those benefits, nothing will numb the pain of paying.
If you charge customers every month, charge them at the beginning of the month. If they have difficulty making the down payment, allow them to split it into two payments and only start active therapy once the second payment has processed.
Structuring your goods and services in such a way can be extremely advantageous in the orthodontics industry where patient acquisition is competitive and expensive.
Price adjustments are an inevitable part of doing business. Unfortunately, those price adjustments usually manifest as
increases — that’s just the way of the world, especially in econo mies where inflation plays a major role in market value. You must adapt to the times, or you might undersell your value.
Raising your prices incrementally makes them far more toler able to consumers. While your prices may increase by 6% over a year, for example, implementing that increase annually by 3% raises has a far less immediate impact on the consumer.Opting for incremental price increases also gives you an opportu nity to evaluate the economic land scape and competition regularly rather than relying on price hikes to catch up or guesswork to project the right price.
Many businesses are afraid to raise their price, so they wait until it is abso lutely necessary and are then forced to raise fees by a large margin. Instead, use frequent, small price adjustments across the board to avoid waiting until the moment of desperation.
Consumers will often be willing to pay more when they’ve provided with more valuable services. One way to easily provide more value is by packaging services together.
For example, by packaging active treatment with the pas sive retention phase of treatment, you can charge a larger fee to patients due to increasing the perceived value you are provid ing them. This can be either an in-house package or a package via a third-party partner. For example, in my practice, we offer patients the option to prepay for Retainers For Life, a program that provides my practice with income and provides the patient with excellent retention care.
By offering packaged treatment options to patients, you’re able to offer excellent levels of care while simultaneously differ entiating yourself from competing practices.
Running promotions and offering discounts can provide valu able boosts to your business. In order for them to be successful, however, they need to attract patients. The theory is that a reduced price leads to a higher volume of sales. Unless this proves to be true, your promotion could flop.
The Rule of 100 states that if something is over $100, use an absolute discount ($40). If it is under $100, give a percentage discount (10%). The reasoning behind the rule is simple — the larger the figure, the more appealing the promotion: $40 off of $200 sounds more substantial than 20%.