Orthodontic Practice US Spring 2023 Vol 14 No 1

Page 1

How to love your practice life

Dr. Alyssa Emory-Carter

The role of the orthodontist in the cleft palate team

Drs. Chung How Kau, et. al.

Strategic extraction patterns based on alveolar housing considerations using CBCT imaging

Drs. Jeffrey Miller and Claire Miclat

Practice profile

Dr. Sima Yakoby Epstein — driven and grateful

Smarter Orthodontics Leading AI-powered orthodontic solutions designed for all treatments. Spring 2023 Vol 14 No 1 orthopracticeus.com PROMOTING EXCELLENCE IN ORTHODONTICS AAO Special Section n 4 CE Credits Available in This Issue*
THE ULTIMATE EXPERIENCE TO SIMPLIFY YOUR MECHANICS Contact your Ormco Sales Representative or visit ormco.com/ultimahook today. Introducing the Ultima™ Hook, the only re-positionable hook 1 , designed to save time for doctors who value performance while providing a healthier2 oral treatment option for their patients.* | Increased Performance | Reduced Chair Time | Designed for Patients MKT-22-1254 © 2022 Ormco Corporation 1 Using the Ultima™ Hook Repositioning Instrument. 2 When used as a stop. * Data on file. VISIT ORMCO AT BOOTH #1020

Introducing SparkTM Aligners

Release 13 TAKING TREATMENT PLANNING TO THE NEXT LEVEL

“Spark’s Integrated Hooks are far superior to the traditional elastic cutouts which bend and break. Even with use of heavy elastics the integrated hooks hold up great for amazing A/P correction.”

SPARK INTEGRATED HOOKS

More control through ensured durability throughout the course of aligner treatment*

SPARK TRUROOT™ CBCT FEATURE

More insight by replacing library roots with the patient’s actual roots from the CBCT scan*

SPARK REAL TIME APPROVAL

More flexibility - make any change to any aligner feature in the auxiliary menu without the need for a change request

“The TruRoot™ Feature is a true innovation in orthodontics. For the first time, we will be able to treatment plan tooth movements with the exact knowledge we need to finish .

Learn more at ormco.com/spark/r13-update *Data on file. 1Drs. Nichols and Dischinger are paid consultants for Ormco. The opinions expressed are those of doctors Nichols and Dischinger. Ormco is a medical device manufacturer and does not dispense medical advice. Clinicians should use their own judgment when treating their patients. Patient results may vary. MKT-22-1512
–Dr. Trevor Nichols1
–Dr. Bill Dischinger1
VISIT ORMCO AT BOOTH #1020

How I learned to stop worrying and love the tech

It’s truly rare when I can’t make a positive contribution to my patients’ lives. I can always make an impact, and I have boxes full of letters, photos, and handwritten notes from past patients expressing gratitude for changing their lives. After 40 years of practice, that continues to make me feel good.

Owning three orthodontic practices, including an Invisalign® studio location, it’s nice to reflect on the journey. I’ve been focused on being on the cutting edge for my entire career, always wanting to advance my abilities to be a better orthodontist. For me, that’s always meant investing in different aspects of myself and my practice in order to push forward. In the ‘90s, I spent a significant amount of time with Ron Roncone, the famed orthodontic efficiency expert from whom I learned the importance of numbers, stats, and ROIs for running a successful practice.

Being on the cutting edge includes an unapologetic embrace of technology and a love of things shiny and new, both in and out of the office. In this regard, whatever’s new, I try it. From early investments in computerized growth predictions and computerized jaw tracking in the 1990s to cone beams back in 2007, I’ve never looked back. I realized that cone beams were better, and that “better” costs money — a logic that has not yet failed me. While not all of my forays into new tech brought serious ROIs, they all offered new perspectives and allowed the opportunity for practice expansion in some way.

In terms of technological innovations I’ve embraced, there’s been Invisalign, neuromuscular therapy, SureSmile® custom-designed wires, intraoral scanning, and more recently, DentalMonitoring, an integrated platform that, among other features, allows doctors to monitor patients remotely and provide an additional channel to communicate with our patients. I’ve been using DentalMonitoring (DM) in my practices since 2017, and I’ve never viewed it as an expense. Thanks to these efficiencies, overhead costs have dropped, allowing me to reduce hours while also producing a greater amount of orthodontics.

It’s these types of advances in the dental industry that allow myself and my team to see more patients in total, but less often and only when necessary. The other upside? It gives me more time! Between optimizing office operations by adopting new technology and introducing new processes to the team, we collectively save precious hours each day — hours that I admittedly savor, as it means I can go home early for dinner, or spend weekends away with my wife.

Orthodontics has to evolve with the times. Inspired by The Future of the Professions: How Technology Will Transform the Work of Human Expert, a book by father-son team Richard Susskind and Daniel Susskind, if technology begins to threaten a specialty, that specialty needs to rethink how it functions. Digital is the future, and if you’re not incorporating these things into your practice, you’ll lose your patients because today’s patients are consumers, and they want convenience and good value. Like myself, patients want a high quality of orthodontic care and a high quality of life, which is, perhaps, the ultimate ROI.

Spring 2023 n Volume 14 Number 1

Editorial Advisors

Lisa Alvetro, DDS, MSD

Daniel Bills, DMD, MS

Robert E. Binder, DMD

S. Jay Bowman, DMD, MSD

Stanley Braun, DDS, MME, FACD

Gary P. Brigham, DDS, MSD

George J. Cisneros, DMD, MMSc

Jason B. Cope, DDS, PhD

Bradford N. Edgren, DDS, MS, FACD

Eric R. Gheewalla, DMD, BS

Dan Grauer, DDS, Morth, MS

Mark G. Hans, DDS, MSD

William (Bill) Harrell, Jr, DMD

John L. Hayes, DMD, MBA

Laurence Jerrold, DDS, JD, ABO

Marc S. Lemchen, DDS

Edward Y. Lin, DDS, MS

Thomas J. Marcel, DDS

Mark W. McDonough, DMD

Randall C. Moles, DDS, MS

Elliott M. Moskowitz, DDS, MSd, CDE

Rohit C.L. Sachdeva, BDS, M.dentSc

Gerald S. Samson, DDS

Margherita Santoro, DDS

Shalin R. Shah, DMD

Lou Shuman, DMD, CAGS

Scott A. Soderquist, DDS, MS

John Voudouris (Hon) DDS, DOrth, MScD

Neil M. Warshawsky, DDS, MS, PC

John White, DDS, MSD

Larry W. White, DDS, MSD, FACD

CE Quality Assurance Board

Bradford N. Edgren, DDS, MS, FACD

Fred Stewart Feld, DMD

Gregori M. Kurtzman, DDS, MAGD, FPFA, FACD, FADI, DICOI, DADIA

Justin D. Moody, DDS, DABOI, DICOI

Lisa Moler (Publisher)

Mali Schantz-Feld, MA, CDE (Managing Editor)

Lou Shuman, DMD, CAGS

© MedMark, LLC 2023. All rights reserved. The publisher’s written consent must be obtained before any part of this publication may be reproduced in any form whatsoever, including photocopies and information retrieval systems. While every care has been taken in the preparation of this magazine, the publisher cannot be held responsible for the accuracy of the information printed herein, or in any consequence arising from it. The views expressed herein are those of the author(s) and not necessarily the opinion of either Endodontic Practice US or the publisher.

ISSN number 2372-8396

2 Orthodontic Practice US Volume 14 Number 1 INTRODUCTION
John White, DDS, MSD, has been shaping smiles for decades, and his expertise has earned him recognition as one of the Top 1% Invisalign® providers in the world. He understands the needs of his patients, and treats them with the same respect, compassion, and honesty that he would expect for his own family. John White, DDS, MSD
BOOTH #733 www.dynaflex.com | 866.346.5665 SCAN TO LEARN MORE 021423 © DynaFlex®. All rights reserved. ƒ New Products Join Us NEW NORRIS CLEAR BRACKET SYSTEM NEW MINI PRECISION BUTTONS NEW DIRECT METAL PRINTING OPTIONS NEW LASER CUTTER FOR ALIGNERS HIP DYNAFLEX LOGO DRESS SOCKS AND MORE FREE BEER, WINE & COCKTAILS DISCOUNTS ON YOUR FAVORITE PRODUCTS IN-BOOTH PARTY EVERYDAY ƒ Show Specials ƒ Happy Hour ƒ Fun Giveaways Don’t Miss Our PLUS A GREAT SPEAKER LINEUP

How to love your practice life

4 Orthodontic Practice US Volume 14 Number 1 TABLE OF CONTENTS PRACTICE PROFILE Dr. Sima Yakoby Epstein — driven and grateful PUBLISHER’S PERSPECTIVE Reflections from a grateful GOAL-getter Lisa Moler, Founder/CEO, MedMark Media............................... 8 CASE REPORT Strategic extraction patterns based on alveolar housing considerations using CBCT imaging: a case study Drs. Jeffrey Miller and Claire Miclat show how CBCT can help an orthodontist plan more strategically .....................................16 BOOK REVIEW Customized Orthodontic Appliances: Theory, Design, Application Edited by Nearchos C. Panayi, DDS, DOrtho, MOrtho, 2021, Quintessence Publishing Co., www.quintpub.com ................... 20 AAO SPECIAL SECTION 3M ............................................... 22 Boyd Industries ................. 23 DentalMonitoring ........ 24 DynaFlex ............................... 25 EasyRx ..................................... 26 Gaidge ...................................... 27 KLOwen Ortho ................. 28 Ormco...................................... 29 Tops ........................................... 30 US Orthodontic Products ................................. 31 10 14 COVER STORY
Dr. Alyssa Emory-Carter achieves high-quality treatment, close patient follow-up, and patient satisfaction with DentalMonitoring Cover
image of Dr. Alyssa Emory-Carter courtesy of DentalMonitoring

to the boom

Crank up your growth with Tune and G&H Orthodontics.

Demand for aligners is growing fast. Offer your patients an effective, affordable option with Tune clear aligners from G&H Orthodontics.

Count on G&H as your full-service orthodontic provider for products including:

Scan the QR code or visit Booth #1007 at the 2023 AAO Annual Session to learn more about Tune and G&H.
Brackets Wires Elastomerics Tubes Aligners
in

The role of the orthodontist in the cleft palate team

Drs. Chung How Kau, John Grant, Rene Myers, Kathlyn Powell, Nathaniel H. Robin, and Cassi Smola discuss a condition that can affect children from birth to teen years

Implications

6 Orthodontic Practice US Volume 14 Number 1 TABLE OF CONTENTS CONTINUING EDUCATION Dental infections, part 2 — prophylaxis: help avoid antimicrobial resistance Wiyanna K. Bruck, PharmD, and Jessica Price continue their discussion of concepts surrounding antibiotic prophylaxis in dentistry ......................................................... 40 PRODUCT SPOTLIGHT Boyd Industries — durability, reliability, and craftsmanship ......................................................... 45 PRODUCT PROFILE Ormco – Driving the future of orthodontics with Spark™ Clear Aligners & Damon Ultima™ 46 LEGAL MATTERS
of
Claims
Kerry Cahill, Esq., discusses how practitioners need to protect themselves even in altruistic circumstances ............................... 47 Connect. Be Seen. Grow. Succeed. | www.medmarkmedia.com READ the latest industry news and business WATCH DocTalk Dental video interviews with KOLs LEARN through live and archived webinars RECEIVE news and event updates in your inbox by registering for our eNewsletter CONNECT with us on social media www.orthopracticeus.com *Paid subscribers can earn 4 continuing education credits per issue by passing the 2 CE article quizzes online at https://orthopracticeus.com/category/continuing-education/ 34 CONTINUING EDUCATION
the False
Act
Wilkerson Ortho BOYD - DESIGNING YOUR SPACE FOR YOUR PATIENTS From dental chairs to cabinetry, our products are reliable and visually stunning. Our equipment is comfortable, durable, and customizable. Let us create your space. Built to last • Built for you Built by Boyd! 44th St. N, Clearwater, FL 33762 727-561-9292 I 800-255- 2693 www.boydindustries.com SCAN TO START DESIGNING YOUR SPACE.

Reflections from a grateful GOAL-getter

In my columns, I have always shared my thoughts on professional and personal success. I’ve shared MedMark Media’s triumphs, and in recent years searched with you for solutions to some very tough challenges. As always, I am so proud of MedMark Media’s publications and the team that has been the center of my life for so many years. With this column, I am thrilled to announce some amazing news. I just got back from Dallas where I won a 2023 Denobi Award! This prestigious honor is incredibly humbling and inspiring. The Denobi Awards recognize leaders in the dental industry worldwide — including, as the Denobi website notes, “clinicians, educators, brand leaders, students, administrative personnel, sales, advocates, speakers, and leading experts.” From the nominations, finalists include 10 individual winners, one dental team, and one individual that receives the esteemed Dr. Lou Shuman Denobi Pinnacle Achievement Award. Right now, I think back to the years when I ran MedMark out of my tiny condo. Step by step the company has grown into publishing of five magazines, many digital platforms, podcasts, webinars, and opportunities. Some have described me as a “go-getter,” but I like to define myself as a “goal-getter.”

Speaking of setting and reaching new goals, you all know that specialty dentistry is our focus and our passion. So some more good news is the debut this spring of our newest national publication, Pediatric Dental Practice US. Articles will focus on oral health from infancy through teens and offer pediatric dentists new insights on helping young patients. As we strive to inform and improve the practices of endodontists, implant specialists, orthodontists, and dental sleep medicine professionals, reaching clinicians that care for the youngest patients seems like a perfect fit into our coverage of dental care that spans a lifetime.

In this issue of Orthodontic Practice US, our cover story shows how Dr. Alyssa Emory-Carter went from using the DentalMonitoring platform in a pilot study for her clear aligner patients to helping her maintain close patient follow-up, improve patient satisfaction, and encourage practice growth — all while monitoring practice efficiency. Our CE by Dr. Chung How Kau and colleagues defines the role of specialists and the orthodontist in treating cleft palate as well as modern methods to correct the condition from birth to teen years. In our AAO Special Section, we shine a spotlight on innovations to help the orthodontic practice become more efficient and effective including payment processing, AI, treatment options, analytics, equipment, and more. Our Practice Profile gives insight into Dr. Sima Yakoby Epstein, her very interesting journey to dentistry and her integration of professional-grade self-care products into her practice.

I struggled over whether to announce the Denobi Award in my column. That humble voice in my head didn’t want to seem boastful. But, I know that my team, friends, readers, and advertisers would want to share in my excitement of this recognition. This is not just about me. I always try to encourage you all to take some chances, believe in yourself, and as inspirational author Norman Vincent Peale advises have a “humble but reasonable confidence in your own powers.” I also try to emphasize my philosophy of “know your worth.” It sure is a fantastic feeling when others realize your worth too.

To your best success,

Published by

Publisher

Lisa Moler lmoler@medmarkmedia.com

Managing Editor Mali Schantz-Feld, MA, CDE mali@medmarkmedia.com

Tel: (727) 515-5118

Assistant Editor Elizabeth Romanek betty@medmarkmedia.com

National Account Manager Adrienne Good agood@medmarkmedia.com

Tel: (623) 340-4373

Sales Assistant & Client Services

Melissa Minnick melissa@medmarkmedia.com

Creative Director/Production Manager

Amanda Culver amanda@medmarkmedia.com

Marketing & Digital Strategy

Amzi Koury amzi@medmarkmedia.com

eMedia Coordinator

Michelle Britzius emedia@medmarkmedia.com

Social Media Manager

April Gutierrez

socialmedia@medmarkmedia.com

Digital Marketing Assistant Hana Kahn support@medmarkmedia.com

Website Support

Eileen Kane webmaster@medmarkmedia.com

MedMark, LLC

15720 N. Greenway-Hayden Loop #9 Scottsdale, AZ 85260

Tel: (480) 621-8955

Toll-free: (866) 579-9496 www.medmarkmedia.com

www.orthopracticeus.com

Subscription Rate

1 year (4 issues) $149

https://orthopracticeus.com/subscribe/

8 Orthodontic Practice US Volume 14 Number 1 PUBLISHER’S PERSPECTIVE
Lisa Moler Founder/Publisher, MedMark Media

How to love your practice life

Dr. Alyssa Emory-Carter achieves high-quality treatment, close patient follow-up, and patient satisfaction with DentalMonitoring

DentalMonitoring is a remote monitoring solution that catapults orthodontic practices into growth mode. The AI analyzes, detects, and reports on 130-plus oral observations. The technology brings the doctor and patient closer during treatment and improves patient compliance while reducing unnecessary and inconvenient physical visits. The advanced digital solution produces a wealth of observable data that doctors can use to improve treatment procedures, staff training, protocols, and workflows. Patients use the app for constant communication with their doctor and team. Easier communication improves patient compliance and hygiene because patients know their doctor monitors their treatment closely. Both patients and parents can see the time-lapse treatment progression, further encouraging treatment engagement.

Many practitioners began using DentalMonitoring to solve a specific issue in their practice. As they continue to use the system, they often decide to make DentalMonitoring a foundation of their practice operations. Going all-in with DentalMonitoring means that a doctor enrolls every patient after seeing the benefits of remote monitoring for a smaller group, often their aligner patients. As doctors progress with using DentalMonitoring to treat all of their patients, including all their braces patients, they can shift their office to dynamic scheduling. Dynamic scheduling means there are no routinely scheduled appointments. Instead, patients see their doctor in person because DentalMonitoring’s AI has helped the doctor to identify when a physical appointment is necessary, such as an archwire change.

Dr. Alyssa Emory-Carter began using DentalMonitoring in a pilot study for her clear aligner patients. At this time in her practice, the team was working long hours, missing lunches, and unable to treat patients to the level of excellence she demanded. She was exhausted but believed in her ability to fix the problem and began looking for solutions. That’s when she realized that DentalMonitoring was the solution she needed. The light bulb moment came to Dr. Emory-Carter when she spent an hour of her already overbooked time exploring DentalMonitoring’s artificial intelligence. She understood each of the 130-plus oral observations that the AI can report, making her path to efficiency clear. She could use this tool to maximize her time in the clinic.

Alyssa Emory-Carter, DDS, received her Bachelor’s degree from Oklahoma State University and her Doctor of Dental Surgery degree from Baylor College of Dentistry, earning the highest scholastic honors. She completed a 3-year residency program at the University of Florida College of Dentistry, where she served as Chief Resident and earned numerous leadership and academic awards. Dr. Emory-Carter earned the prestigious Charley Shultz Resident Scholar Award.

Dr. Emory-Carter has been selected to participate in clinical and FDA trials for innovative orthodontic products. She is a member of multiple study groups, including Ormco Insiders, Schulman Study Group, OrthoprenuersRD, and NPG Mastermind. In addition to her educational accomplishments and experiences, Dr. Emory-Carter values community involvement and civic responsibility. She participates in local events and enjoys the close-knit community found in a small town.

Dr. Emory-Carter is happy to admit that using DentalMonitoring has made her a better orthodontist. She explains, “You have to open your mind and believe that we can do things in a way that we’ve never done before in our profession.” But this doesn’t mean that she only uses DentalMonitoring to make her life easier. Dr. Emory-Carter says, “Our kids shouldn’t have to miss 20 days of school to have their teeth straightened. Parents shouldn’t have to take off work 20 times.”

10 Orthodontic Practice US Volume 14 Number 1 COVER STORY
Dr. Alyssa Emory-Carter

Practice growth

The effects of DentalMonitoring in Dr. Emory-Carter’s practice are wide-ranging. When she began using DentalMonitoring, they were seeing 100 patients a day, 4 days a week. Her team was tired. They dealt with the chaos in the practice as they missed lunches or stayed late to squeeze in emergency appointments. But within 6 months of putting all her patients in remote monitoring, they could feel a positive change in the practice. They reduced in-patient visits by 40% as they built a system to support the practice culture that Dr. Emory-Carter demanded — high-quality treatment, close patient follow-up, and patient satisfaction.

DentalMonitoring has supported Dr. Emory-Carter’s efforts in recruiting, training, and retaining healthcare professionals. As team members developed their procedures, she found that staff members who demonstrated a desire to grow and develop their skills were enthusiastic about using new technology like DentalMonitoring. It was the committed and curious individuals who flourished in their roles.

But anecdotal evidence about emotional improvements or stress relief isn’t a great argument for clinically minded dental professionals. The hard truth is that Dr. Emory-Carter has also used DentalMonitoring to facilitate practice growth. She recently bought out her practice partner and bought a third office location. Dr. Emory-Carter now happily sees patients 3 days a week, down from 4 when she treated fewer patients. She’s incredibly proud to list her statistics: 750 patient starts, two front desk employees, eight clinical assistants, and two treatment coordinators. One of the keys to a smooth operation is that everyone in her office can use the DentalMonitoring dashboard, with specific assistants handling most of the communication.

Since every staff member has functional proficiency using DentalMonitoring, it isn’t disruptive if someone on the team is absent.

DM Insights: Data drives improvements

In late 2022, DentalMonitoring added DM Insights to its suite of solutions. Dr. Emory-Carter has taken advantage of this new data hub that measures practice activity and clinical data to drive results and coach her team. As Dr. Emory-Carter began exploring the data, she began identifying patterns and trends in her practice. Armed with new knowledge about what was happening in her practice, she began to look for possible causes for sub-optimal performance. As she explored the reasons for what she was seeing in the data hub, she could finally take action and make improvements. “When you see that 25% of broken brackets are lower right sevens, that’s not a coincidence. All of our clinical team is right-handed.” This realization led Dr. Emory-Carter to train her team to improve their procedures. Practices using this process of data-driven optimization can track the improvements in their DM Insights. Dr. Emory-Carter explains that at the start of using DentalMonitoring and DM Insights to guide training, she found that there were voids behind the attachments

caused by not accurately placing the attachment template. “That was something I wouldn’t have known if we didn’t have the data from the patients scanning when they walk out the door. You can see what walks out your door that day and compare that to what happens in subsequent scans.”

Dr. Emory-Carter says, “The data is powerful. This is the truth.” But she makes sure to work with her staff so they don’t perceive the data as a personal critique. Instead, Dr. Emory-Carter and her team encourage each other that they are all in it together. Working for Dr. Emory-Carter requires two simple actions. Dr. Emory-Carter says, “We take care of patients, and we take care of each other.” If patients walk out of the office with open gates, another assistant may have to stay late to treat that same patient the next day. This level of mutual accountability drives her team to be the best.

Dr. Emory-Carter explains, “We take the data and translate it to appointment times. We can see the inconvenience to our patients. We always wanted to decrease emergency visits and increase our bonding protocols for better bond strength, but we couldn’t isolate each issue until we had the details coming out of DM Insights.” Insights lets Dr. Emory-Carter pinpoint where she can make improvements. The efficiency she has created has allowed her to modify her schedule, freeing up the time needed to make new improvements based on the data she sees in DM Insights.

Patient communication

Communication with patients is vital. DentalMonitoring sends automated messages based on a practice’s custom protocols and preferences. The AI analyzes the patient scans and

11 orthopracticeus.com Volume 14 Number 1 COVER STORY
Bracket bond failures post initial placement for the past year

triggers automated messages based on the result of the 130-plus intraoral observations. In addition, practice staff can quickly send messages to the patient from a database of customizable messages as needed. Common automated messages encourage hygiene improvements or remind patients to wear their aligners for the correct amount of time.

DentalMonitoring also streamlines direct communication between the practice and patients, freeing up front desk employees from the burden of incoming calls about clinical matters.

Traditionally, patients call the front desk to ask a question about their treatment. Next, the patient is put on hold or leaves a message, which requires the front desk employee to leave the workstation and interrupt a clinical assistant. Then, after getting the information needed to answer the question, the front desk assistant relays the information to the patient. With DentalMonitoring, the patient’s questions are answered in the app. Communication happens when staff has time in their day

to answer questions. Busy practices that use the remote monitoring solution couldn’t be happier about the ease of use. When Dr. Emory-Carter started with DentalMonitoring, they didn’t use the direct communication features. After looking further into the benefits, she and her team prioritized in-app communication. Within 30 days, they’d handled 300 messages over the app. This intentional change prevented 300 interruptions to the practice and eliminated 300 inconvenient conversations for their patients.

One of the simplest tasks in the system is modifying the patient’s scanning schedule. They ask patients what day is convenient and use that information to achieve successful, regular scanning. This is incredibly important because the system requires regular scanning to drive advancements in clinical control. The new Adaptive Scan Interval feature allows the system to adjust the interval between aligner changes based on how well patients respond to treatment. This new development is yet another way that DentalMonitoring helps practitioners save time.

Marketing

Dr. Emory-Carter has used DentalMonitoring to stand out in the market, branding her remote treatment “AO on the Go.” She’s been able to market herself as the most convenient and advanced orthodontic option for her community.

Dr. Emory-Carter explains that the real flashpoint was when they stopped explaining remote monitoring as a way to make things easier for the practice. Instead, they began explaining that monitoring helped her team provide better care that was more convenient. DentalMonitoring, she explains, is not about seeing patients less. Patients are seen more often, albeit remotely. The key is that they come into the office right when they need to be seen.

Dr. Emory-Carter explains that their treatment philosophy has changed and that the treatment schedule is based on the AI prescription and is updated every 7 days. Judging by Dr. Emory-Carter’s DM Insights dashboard and her patients’ smiles, it’s working. OP

12 Orthodontic Practice US Volume 14 Number 1 COVER STORY
Dr. Emory-Carter has been able to market herself as the most convenient and advanced orthodontic option for her community.”
Patient notification list illustrating the observations triggered by the system’s AI

Focus on the clinical side of care, let us do the rest.

DentalMonitoring is the only AI-Driven remote monitoring technology to automatically detect and help you analyze oral conditions as well as oral hygiene. It helps you monitor patient treatment progress from pre-treatment through to retention using any brand of braces, aligners, and orthodontic appliances.

You’re the doctor and DentalMonitoring is the digital solution to help drive clinical excellence while optimizing treatment outcomes.

ANTICIPATION. DM AI proactively tracks patients’ treatment progress and alerts you when their treatment goes off course, allowing you to make adjustments sooner, keeping their treatment on track.

ACCURACY. Maximize your skills. Through regular scans, DentalMonitoring manages 2D and 3D data very efficiently providing you with the information you need to make decisions.

EFFICIENCY. DentalMonitoring delivers the observations you need to build a personalized treatment schedule based on your patients’ real needs.

Patients scan using their smartphone, DentalMonitoring App, and the ScanBox pro

DentalMonitoring crops, labels, and triages the scan.

DentalMonitoring automatically detects and analyses 130+ intraoral conditions.

The intraoral observations trigger automated messages based on your protocols.

The doctor uses these observations from scanning to optimize patient treatment.

Smarter Orthodontics

dental-monitoring.com

DentalMonitoring, Smilemate and Vision are products designed and manufactured by Dental Monitoring SAS, under the DentalMind branding for Health Care Professional (HCP). They are also used by patients under the mandatory supervision of Health Care Professional (HCP). DentalMonitoring and SmileMate are designed to assist HCP in observing remotely intraoral situations (and monitor orthodontic treatments for DentalMonitoring). Refer to your HCP and/or the Instructions for Use before use. DentalMonitoring product is a medical device (in Europe only), registered as such and holding the CE mark. Vision simulations are generated using artificial intelligence, they are not contractual and may differ from the final results of the patient’s treatment. Products availability, claims and regulatory status may differ across countries depending on local regulations. Contact your local representative for further information. AD_MON_AD_Focus on the clinical side of care_001_01_rd_H_US_en

SCAN OPTIMIZE CROP PROCESS REPORT

Dr. Sima Yakoby Epstein — driven and grateful

What can you tell us about your background?

I am a first-generation born from Georgian immigrant parents who came to America with $100 dollars in their pocket and big aspirations. My father worked 18-hour days driving a yellow checker cab to survive and raise three children. In Georgia, my mom was one semester shy of becoming a doctor and was also a professional pianist. She and my father decided to pursue the American dream. I often think about how she must have felt, and how she had the strength to continue to be incredibly fearless! She filled our tiny apartment with music and home-cooked meals, and the door was always open to anyone who needed a friend. I often reflect on my parents with amazement and adoration. My mom and dad truly taught me compassion by giving when they didn’t have anything and relying on their cultural foundation of feeding everyone as their way of showing love and respect — a trait I am proud to say I still carry on to this day! I dreamed of one day becoming a doctor so my mom could truly see the greatness she instilled in me and know that her incredible sacrifices were not in vain. I was raised with a hard-work ethic, to be grateful for the opportunity of freedom, and with proof that the American dream is real!

When did you become a specialist and why?

I became a specialist after a General Practice Residency at New York Presbyterian, working in New York City as a cosmetic dentist to eventually teach at NYU Advanced Aesthetic Dentistry. Shortly after, I went back to the University of Pennsylvania, knowing I would have the privilege of having Dr. Van Arsdale, Dr. Chung, Dr. Sklaroff, and Dr. Secchi as my mentors.

Is your practice limited solely to orthodontics, or do you practice other types of dentistry?

After graduating Orthodontic Residency from University of Pennsylvania, I was solely practicing orthodontics with Dr. Lemchen and Dr. Salzer in New York City. I am now the founder of OrthoNu, where I’m focused on integrating noteworthy products for orthodontic patients.

Why did you decide to focus on orthodontics?

My focus was influenced by my car accident as a 13-year-old girl. Those were my most vulnerable moments, where I felt so unattractive with broken and uneven restored teeth and constant dental work that left me insecure about my appearance throughout my teenage years. It was painful physically and emotionally, especially since I knew my parents did not speak the language and had little to no guidance or point of reference for this. They just knew their child was struggling, and I didn’t want them to be distressed. I went through years of treatment during which I became fascinated with and appreciative of the vital role that an

orthodontist I visited regularly had in my treatment and my life. He transformed my smile, a physical change that also provided me with mental and emotional confidence. Then, my interest in orthodontics and passion for patient well-being began. This is what motivated me to start OrthoNu.

How long have you been practicing orthodontics, and what systems do you use?

I practiced for over 10 years and used conventional twin and self-ligating systems.

What training have you undertaken?

I trained at the prestigious University of Pennsylvania School of Dental Medicine for my DMD and as well a degree in Clinical Orthodontics. I was fortunate enough to work with incredible mentors Drs. Salzer and Lemchen as my first job in New York City.

14 Orthodontic Practice US Volume 14 Number 1 PRACTICE PROFILE

Who has inspired you?

My father has inspired me to overcome the most challenging of moments, teaching me by example. I believed I could achieve anything by his success. I watched him turn one yellow checker cab in New York City, carrying a Russian/English dictionary, into building a fleet of yellow cabs and medallions where he would exclaim, “Only in America!”

What is the most satisfying aspect of your practice?

Being around patients all these years taught me so much about the way they think, how they work through the day-today struggles and challenges that inevitably arise as they travel through the treatment journey. I am driven to make OrthoNu the industry brand leader in oral self-care, helping patients and doctors to create a partnership. I also derive great joy out of meeting our future orthodontists currently in residency programs across the country and getting acquainted with them. They are truly the future of our profession.

Professionally what are you most proud of?

Developing a compassion for patients and using my knowledge as an orthodontist to create a company with the sole purpose of inspiring confidence and hope in every patient, parent, and doctor.

What do you think is unique about your company?

OrthoNu is unique because its focus is on driving innovation in oral self-care to support both patient experience and practice efficiencies. We are creating a new category of professional-grade, self-care products that are meant to create a true system of incorporating solutions for pain/discomfort, oral hygiene/halitosis, and overall oral health. This, I believe, is going to improve the industry.

What has been your biggest challenge?

Being an orthodontist and feeling confident as a doctor, and then switching roles to being an entrepreneur was a welcoming challenge. There are many skills that I had to hone along the way. It can be daunting to know that many of these pivotal moments depended on a belief in myself. I never stop and never allow anything to interfere with my focus and vision. I am confident my intuition and instinct will help me advance to the next step.

What would you have been if you hadn’t become a dentist?

I would have been an ER doctor. I was always so fascinated when I did my residency at the hospital at how confident and mentally fearless these doctors had to be in the most critical moments. I am in awe of their courage and compassion when helping human beings at their most vulnerable moments. That is true heroism.

What is the future of orthodontics and dentistry?

Orthodontics and dentistry are undergoing a seismic shift due to the massive growth in patients of all ages seeking treatment.

With this comes a huge potential. The orthodontic market alone is projected to grow 300% by the year 2027! From the advent of AI, telehealth, the impact of OSOs, DSOs , De NoVo’s and the expansion of aligner companies, the growing market will have the industry soaring. Also, given these new technologies, orthodontics brings change to practice efficiencies, creating more emergency visits. Having ways to mitigate the pressing impact is important. It’s continued innovation that will be driving us forward.

What are your top tips for maintaining a successful specialty practice?

First, start with a strong foundation. This begins with the intention of the doctor, communicating with the staff and team working together to deliver the treatment, tools, and respect to patients to ensure the best possible experience during their treatment journey. Second, empower the patient. Spending the time to educate your patients on their oral self-care regimen and giving them the proper tools will make all the difference in their confidence and ability to take care of the inevitable issues without having to interrupt their day for an emergency visit.

What advice would you give to a budding orthodontist?

Figure out what means the most to you as a doctor, and understand your true passion and how you want to give that to your team and your patients. You will achieve greatness when you realize what innately drives you.

What are your hobbies, and what do you do in your spare time?

My joy is observing my children Sloane and Liam light up with a smile from succeeding in the smallest of accomplishments. I cherish these moments and feel lucky and honored to be their mom. I love watching my husband illuminate when he leaves a golf course, and I ask him, “how did you play?” My greatest love is being able to travel and experience all the beautiful cultures and traditions this world has to offer. Sometimes, I enjoy spending a Sunday morning reading the New York Times with a cup of coffee and a loaded bagel. I always look forward to making sweet memories with my precious family and incredible friends and watching or playing tennis. My dad felt that tennis was a life lesson on opportunity, and with that instilled the love of the game in my brothers and me. I treasure time at the beach, the texture of sand, and the ebb and flow of ocean waves, and you will frequently see me with the windows down and screaming the lyrics while dancing like no one’s watching in my car! My home is always filled with great music and food made with love. It’s the natural result of setting goals, achieving them, and maintaining discipline for my passions every day that fills my heart.

For more information, visit https://orthonu.com/. OP

15 orthopracticeus.com Volume 14 Number 1 PRACTICE PROFILE
I am driven to make OrthoNu the industry brand leader in oral self-care, helping patients and doctors to create a partnership.”

Strategic extraction patterns based on alveolar housing considerations using CBCT imaging: a case study

Drs. Jeffrey Miller and Claire Miclat show how CBCT can help an orthodontist plan more strategically

Introduction

When treating patients with severe crowding in both arches, a traditional orthodontic treatment approach can lead the orthodontist to recommend an extraction strategy. Once an extraction approach is considered, the provider will need to further determine which extraction pattern or strategic extraction pattern is best for the individual patient. Extraction of the first premolars is a commonly utilized extraction pattern in cases with moderate-to-severe crowding with adequate posterior anchorage to allow for proper de-crowding of the arches. However, one important additional consideration may reroute the traditional treatment approach — are there currently any teeth with compromised alveolar support that may be a better candidate for extraction instead of a healthy first premolar? Consider a case involving severe mandibular anterior crowding with a lower incisor that appears to be dehisced outside the bounds of stable alveolar support. A CBCT X-ray image allows one to not only carry out a very accurate space analysis, but also assess each tooth individually with regard to possible compromised alveolar support. If an orthodontist were to see on a CBCT X-ray image that the lower incisor in question was entirely beyond the facial cortical plate, would he/she reconsider extracting premolars in favor of the questionable incisor?

CBCT adds another consideration to the pretreatment evaluation and can help the orthodontist develop a more strategic extraction pattern. In other words, the additional information provided by CBCT can provide visual confirmation that could influence the treatment plan. When “strategic extraction” is mentioned in orthodontics, it usually relates to anchorage requirements. CBCT can add additional information that could help to improve how cases are treated.

Patient examination

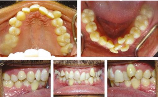
A 23-year-old male presented to our clinic with a chief complaint of severe crowding and “crooked” teeth in both arches. An extraoral evaluation revealed the patient was mesocephalic, with a slightly convex profile, symmetrical face and jaw, and competent lips (Figure 1).

The intraoral examination revealed moderate maxillary crowding and severe mandibular anterior crowding, Class I molar relationship, occlusal cant (Figure 2D), and an ectopic upper left canine (Figure 2E). Both arches displayed discrepancies in arch length, particularly the mandibular arch, and each showed tapered arch forms (Figures 2A and 2B). A Bolton discrepancy was also noted. A Class IV composite restoration was also present on tooth No. 8.

16 Orthodontic Practice US Volume 14 Number 1 CASE REPORT
Jeffrey Miller, DDS, is an orthodontic specialist in private practice, Orthodontic Associates, in Maryland. He speaks both nationally and internationally on CBCT topics related to orthodontics. Please feel free to email Dr. Miller at dr.miller@ orthodonticassoc.com with questions Claire Miclat, DDS, is a matriculating orthodontic resident at Indiana University. Figure 1: Initial pretreatment extraoral photos taken on December 17, 2020 Figure 2: Initial pretreatment intraoral photos taken on December 17, 2020 A. C. D. E. B.

Radiographic evaluation

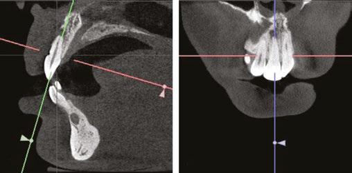
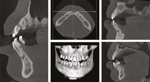
It was clear that extractions were going to be necessary to relieve crowding for this patient. It was unclear which mandibular teeth would be best suited for extraction, considering that tooth Nos. 24, 26, and 27 were ectopic and considerably displaced out from the center of the alveolar housing or trough (Figure 2B). Additionally, tooth No. 24 was already showing signs of gingival recession (Figure 2D), further suggesting its position within the alveolar housing was compromised.

A CBCT X-ray was captured to further investigate and compare which mandibular anterior teeth were most compromised, as well as better visualize any pathologies that may be present (when compared to a panoramic X-ray, Figure 3). When visualizing individual teeth, crosshairs in the 3D imaging software were centered in each orthogonal direction to ensure image accuracy and reproducibility. The image is adjusted to view all teeth either parallel or perpendicular to its axis making sure that the evaluations are accurate in comparing each tooth and its supporting bone.

The CBCT image revealed several findings. First, it was apparent that a periapical radiolucency (PARL) existed in association with the overlapping mandibular incisors (Figures 4A – 4C). Figure 4A shows tooth No. 24 with compromised facial alveolar support, while figure 4C shows tooth No. 25 with a greater amount of visible facial bone. In figure 4E, tooth No. 27 is proclined and has compromised facial alveolar support. Lastly, a second PARL was noted surrounding tooth No. 8 (Figure 5).

Treatment plan

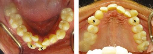
The established treatment plan and extraction recommendation for this patient was primarily based on the CBCT image findings with regards to alveolar support and space analysis. It was clear that tooth No. 24 had the least alveolar support and was already experiencing gingival stripping. However, extraction of this tooth alone would not provide enough space to relieve the crowding, as it is already entirely blocked out of the arch. If one were to extract tooth No. 28 also, tooth No. 27 would need to be distalized and retracted into the arch to allow room for the alignment of the remaining incisors. A potentially more efficient plan would be to extract the periodontally compromised tooth No. 27, as its root is already significantly dehisced thru the facial cortical plate making room for proper alignment of tooth No. 26. Therefore, the final treatment plan for this patient is as follows: refer to general dentist or endodontist for evaluation of PARLs on tooth No. 8 and No. 25 (Figures 4A, 5A, and 5B) and extraction of Tooth Nos. 5, 12, 24, and 27 (Figures 6A and 6B).

Treatment progression

The patient’s general dentist has monitored the PARLs and will continue to do so, but no further treatment regarding the PARLs was recommended by the general dentist at that time. The patient was made aware of several possible complications to treatment, including that an endodontic procedure may be necessary in the future, the PARL-associated teeth may be ankylosed, or root resorption may occur. The patient was bonded on

17 orthopracticeus.com Volume 14 Number 1 CASE REPORT
Figure 3: Panoramic X-ray taken with diagnostic records on December 17, 2020 Figures 5A-5B: 5A. Shows the sagittal view of tooth No. 8 with associated PARL. 5B. Shows the coronal view of tooth No. 8 with associated PARL Figures 6A-6B: 6A. Shows extractions of tooth Nos. 5 and 12. 6B. Shows extractions of tooth Nos. 24 and 27 Figures 4A-4D: 4A. Shows the sagittal view of tooth No. 24 with what appeared to be an associated PARL. Figure 4B shows the PARL from an axial view centered in the mandibular anterior region. Figure 4C shows tooth No. 25 in the sagittal view, closely associated with the PARL. Figure 4D shows the 3D model of the maxillary and mandibular arches. Figure 4E shows tooth No. 27 in the sagittal view A. B. D. C. E. A. A. B. B.

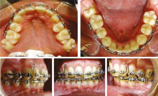
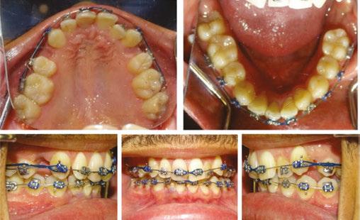
January 21, 2021 and had all extractions completed on February 10, 2021. Within 5 days of the extractions taking place, power chains were placed to close extraction spaces and preserve remaining alveolar bone and minimize adaptive bone resorption of the extraction sites. (Figures 7A, 7C, and 7E).

At this stage in treatment, our main goal was to level and align, close extraction spaces to relieve crowding, and monitor any signs of ankylosed teeth. Rotations on the mandibular teeth were corrected in a .016 NiTi wire (Figures 7C and 7E versus Figures 8C and 8E). Efforts were made to minimize roundtripping of incisors via bypassing upper left lateral incisor.

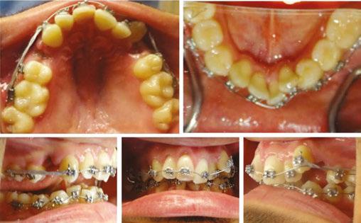
Once appropriate anchorage was burned, and the spaces between the maxillary canines and first molars were closed, a closing looped arch wire was bent using a .018 x .025 stainless steel wire (.018 anterior slot size, Roth Rx) and placed on October 13, 2022. This wire aided in correcting torque, retracting the maxillary anterior teeth, bite opening, and closing remaining spaces between the maxillary canines and lateral incisors (Figures 9C and 9E). At the same time, power chains were used to consolidate remaining spacing in the lower arch (Figures 9B and 9E).

Minor adjustments in torque were then resolved with .016 x .022 NiTi wires placed on June 22, 2022. By October 19, 2022, the patient’s spaces were consolidated, and all teeth were properly leveled and aligned. The finishing stage of treatment (Figure 10) involved minor detailing and Class II elastic wear. The tissue is healthy, spaces are consolidated, the patient is happy with the current esthetic result.

Conclusion

Most orthodontists would have no problem with an alternative extraction pattern if they could easily visualize an unhealthy, compromised tooth. For example, if a four first bicuspid extraction pattern is indicated, but the lower second bicuspids are compromised by heavily decayed clinical crowns, most would opt to extract the compromised second bicuspid because the damage can easily be visualized. A patient with heavily compromised alveolar housing should elicit a similar discussion when determining extraction pattern.

CBCT imaging provides improved visualization of the tooth root and the supporting alveolar bone. This is not always possible

using 2D

OP

18 Orthodontic Practice US Volume 14 Number 1 CASE REPORT
X-rays (Figure 3). Non-traditional extraction patterns no longer relate only to anchorage concerns. CBCT has brought additional meaning to the term “strategic extraction patterns.”
Figure 7: Progress intraoral photos taken on February 10, 2021 Figure 8: Progress intraoral photos taken on April 7, 2021 Figure 9: Progress intraoral photos taken March 3, 2022 Figure 10: Progress extraoral (Figures 9A–9C) and intraoral (Figures 9D–9H) photos taken January 18, 2023 A. A. A. A. D. F. G. H. B. E. C. C. C. C. D. D. D. E. E. E. B. B. B.

Try the uAssist service today

Treatment planning assistance reimagined for the busy orthodontist

96% Fast Service of cases are returned for first review in 72 hours with the average being 19 hours*

89% Quality Plans of users find the treatment plans to be of equal or higher quality than the leading competitor*

Our team of uAssist orthodontists and dentists are specially trained to take your aligner prescription and quickly return a high-quality treatment plan in less than 72 hours. Easily make changes in the uDesign® software yourself if needed rather than the endless back and forth with other services. Submit your order and receive your uSmile™ aligners in as few as 3-business days. To learn more call 866.900.8522 or visit

86% Convenient Workflow of mild cases do not need any further modifications before ordering*

ulabsystems.com
* Data on file © 2023 uLab Systems, Inc. All Rights Reserved. uLab Systems, uAssist, uView and uSmile are trademarks and uDesign and uLab are registered trademarks of uLab Systems, Inc. MAR-0001227 Rev 1

Customized Orthodontic Appliances: Theory, Design, Application

Dr. Nearchos C. Panayi — a practicing orthodontist in Cyprus and a PhD candidate at Athens Medical School — has assembled 21 other knowledgeable professionals to take readers through a multitude of digital transformations in orthodontics. Many of the changes from analog techniques to digital are still inchoate and not quite ready for universal adoption, while others are presently available and adaptable for clinical use.

In his introductory first chapter, Dr. Rafi Romano differentiates “Design It Yourself Orthodontics” from the common understanding of “Do It Yourself Orthodontics,” often found online or in shopping-center kiosks. Furthermore, he wisely reminds us that digital technology can only serve as an assistant, not the master, in orthodontic therapy.

This multi-author tome provides each chapter with a separate subject that could itself evolve into a book. Still, each chapter dedicates itself to the eventual development of a self-sufficient digital orthodontic clinic.

The first section regards 3D technology in orthodontics and covers such topics as CBCT in orthodontics and surface scanning, which offers information about the various types of scanners and manufacturers, and how those scanners perform. Additive Manufacturing (AM) contrasts these methods to conventional subtractive manufacturing such as drilling, cutting, and milling. These AM technologies have been used to print dental casts, indirect bonding trays, aligners, occlusal splints, brackets, etc. The final chapter of the first section describes the Orthodontic Office Digital Workflow, which converts the binary code of digitization into physical forms or what the author calls “undigitization.” The digital needs of this visionary new clinic will clearly need an abundance of expensive and cognitive-challenging equipment, which other sections cover in detail.

The second section deals with 3D Applications in Orthodontics, which is a primer on in-house custom appliance design that displays some astonishing appliances now printable with 3D printers, almost all of which require a specialized laboratory. A further chapter in this section focuses on custom appliance design using dedicated orthodontic software. It describes the various computer-aided design (CAD) software and follows through with examples best made in commercial labs. One such example is in-house customized orthodontic brackets: Ubracket software, which uses dedicated software ostensibly to produce complete

customized brackets, has settled now for customizing the bracket bases to have the required 1st-, 2nd-, and 3rd-order movements built in via the amount of adhesive paste needed for each bracket, while using commercially available brackets. This technique, of course, relies on an indirect bonding technique.

The in-house customized lingual orthodontic appliances, which take up many pages of this volume, devotes an entire chapter to it. One useful suggestion is the use of a hybrid technique that uses brackets and wires to gain the space needed for complex tooth movements and then changes to an aligner to refine the treatment.

In-house clear aligners as described here should behave similarly to wires and brackets, but to this reviewer, that seems fantastically unrealistic. Still, the author gives some important reasons so many have endorsed this latter day-armamentarium: “Aligner treatment entails fewer visits, reduced chair time, and fewer emergencies, hence less contact with the patient.”

In-house digital indirect bonding covers the history and evolution of indirect bonding while displaying how digital solutions attempt to make this more accurate and predictable.

In-house orthognathic surgical splints reveals how digital solutions can improve the production of these guides. The in-house orthodontic archwire-bending robots section reviews only two recent ones: the LAMDA system, which offers only 1st-order bends, and the even more recent Verdopplerbot™ system, which bends wires in three planes of space much like the SureSmile® 3D robot active for the past 23 years — nothing new here.

The final chapter on artificial intelligence and machine learning in orthodontics is the most speculative since so much depends upon a systemic collection of “big data,” which no organization or university system has to my knowledge yet started.

This Quintessence publication retains all of the important features we expect — i.e., remarkable illustrations, thick, slick pages, exhaustive bibliographies, and careful attention to page design — in short, reader-friendly format. Clearly, the described digital transformation has by now violated some of the precepts of disruptive technology: It will neither be inexpensive nor much of it be easily learned and implemented, but this is direction we are going, and this book will be a helpful companion on the trip.

Review by Dr. Larry White.

20 Orthodontic Practice US Volume 14 Number 1 BOOK REVIEW
OP
Orthodontics is no longer just brackets and wires. See how technology is making treatment predictable in ways never possible before. Design your own appliances! Clear aligners are the future! B7772 If you don’t see it, you won’t treat it! B8885 From Macro to Micro David M. Sarver, dmd, ms Dentofacial Esthetics CALL: (800) 621-0387 (toll free within US & Canada) • (630) 736-3600 (elsewhere) 12/22 FAX: (630) 736-3633 EMAIL: service@quintbook.com WEB: www.quintpub.com Quintessence Publishing Co Inc, 411 N Raddant Rd, Batavia, IL 60510 Start using PSL with this new ebook! B0998

3M

What will 3M highlight at AAO in 2023?

This year we’re excited to highlight our innovative digital solutions while integrating the strength of our core solutions, showcasing a one-stop-shop partner for orthodontists to support and grow their practice while delivering beautiful, healthy smiles for patients.

How are 3M’s digital treatment solutions making a difference for doctors and patients?

Our digital solutions paired with our core technologies make it easier than ever to plan and execute digital treatment plans efficiently and precisely. Our intuitive, web-based workflow helps analyze, design, and track treatment plans for aligners, digital bonding, combination, and retention cases.

With 3M™ Digital Bonding pre-coated with 3M™ APC™ Flash-Free Adhesive, you can simultaneously bond a full arch of brackets — decreasing chair time and increasing patient com-

fort. APC Flash-Free, available on five appliance choices, also produces a more reliable bond that also eliminates the process of flash removal for increased efficiencies.

What in-booth experiences will 3M provide?

AAO attendees will be able to view product demos and engage with 3M experts while also experiencing our products hands-on. You can also expect to connect with industry-leading professionals and join us in-booth for a lineup of engaging speakers highlighting clinical excellence and practical concepts.

22 Orthodontic Practice US Volume 14 Number 1 SPECIAL SECTION AAO SPECIAL SECTION
Visit 3M at AAO Booth No. 1121. A power move for your practice. Our orthodontic solutions, your expertise – amazing outcomes. Move purposefully using a two-material aligner system for ultimate control during treatment. 3M™ Clarity™ Aligners Flex + Force Move seamlessly
3M™ Oral Care Portal Move efficiently using a system designed for use with pre-coated, flash-free brackets to save time and improve accuracy. 3M™ Digital Bonding with 3M™ APC™ Flash-Free Adhesive Your next masterful move? Reach out to a 3M orthodontic expert. 3M, 3M Science. Applied to Life., APC and Clarity are trademarks of 3M. © 2023, 3M. All rights reserved. Paid advertising.
with digital treatment planning for aligners and/or brackets, all in one place.

Boyd Industries for durability and reliability

Boyd Industries is the leader in the design and manufacturing of operatory equipment for the orthodontic profession. Best known for the durability and reliability of our award-winning products — including exam and treatment chairs, chair-side delivery systems, exam lights, mobile storage, and clinical cabinetry — we combine 65 years of expertise to design products that perfectly fit your unique space and personal style. We take great pride in the craftsmanship of all products built in our U.S.-based facility, so you can take pride in your office for years to come.

See Boyd’s latest lighting innovation at AAO Booth No. 2043!

Enhance the patient experience, and improve your visibility with Boyd’s newest LED Exam Light. The C600 Exam Light features cool, power-efficient, and reliable LEDs that emit clear and natural white light for maximum visibility. A front-mounted IR sensor allows handsfree operation, light intensity adjustment, and switching between light modes. Focus on your patient when lighting is not an issue.

23 orthopracticeus.com Volume 14 Number 1 SPECIAL SECTION AAO SPECIAL SECTION
Visit Boyd Industries at AAO Booth No. 2043.

DentalMonitoring’s advanced remote monitoring solution

DentalMonitoring is a pioneer of Artificial Intelligence (AI) in dentistry and the orthodontic industry’s most advanced remote monitoring solution. Its family of software solutions helps dental professionals make high-quality care connected, smarter, and more sustainable, through the use of AI at all stages of the patient journey.

Since its founding in 2014, DentalMonitoring has developed cutting-edge algorithms that perform high-level clinical analysis on intraoral images and 3D files. Acknowledging that the technology is revolutionary, DentalMonitoring has worked since inception by partnering with clinical advisors to ensure the needs of practitioners are being met with continual advances.

With an AI-powered platform and patented technology that is used to detect and monitor 130-plus oral observations remotely, DentalMonitoring is the only AI-powered solution suited for all treatment types and orthodontic appliance brands.

Intelligent Monitoring

This includes both fixed and removable appliances used during the pre-treatment, active treatment, and retention phases of treatment.

DentalMonitoring’s priority is to continue providing the best products and services to orthodontists and dentists. The company remains focused on enhancing the standard of care for all patients seeking treatment through a licensed doctor, while also helping clinicians to effectively augment their practice productivity and deliver an outstanding patient experience.

Fixed and removable appliance monitoring boosts your practice efficiency.

There’s no time like now to differentiate your practice, attract new patients and access new revenue opportunities while reducing workload and stress. Equip yourself and your team with clinical knowledge of patient progress between two appointments to transform practice operations and optimise your workflows.

This digital transition means that patients simply use our app and place their smartphone in our ScanBox pro device to send a regular scan of their mouth to our AI-based platform. Anywhere. Anytime. Our automated analysis will trigger the exact clinical milestones you have decided to check and send you an automated report, so you can focus on the patients who need you the most.

24 Orthodontic Practice US Volume 14 Number 1 SPECIAL SECTION AAO SPECIAL SECTION
Visit DentalMonitoring at AAO Booth Nos. 813, 913, and 1017.
DentalMonitoring, SmileMate and Vision are products designed and manufactured by Dental Monitoring SAS, under the DentalMind branding for Health Care Professionals (HCPs). They are also used by patients under the mandatory supervision of Health Care Professionals (HCPs). DentalMonitoring and SmileMate are designed to assist HCPs with remotely observing intraoral situations (and monitoring orthodontic treatments for DentalMonitoring). Refer to your HCP and/or the Instructions for Use before use. DentalMonitoring product is a medical device (in Europe only), registered as such and holding the CE mark. Vision simulations are generated using artificial intelligence, they are not contractual and may differ from the final results of the patient’s treatment. Product availability, claims and regulatory status may differ across countries depending on local regulations. Contact your local representative for further information. AD_MON_AD_081_01_rd_H_US_en Smarter Orthodontics

The Norris 20/26 ® Bracket System

The profitability and predictability of The Norris 20/26® System

Orthodontists are finding they can reduce chair time and patient visits without the expensive lab fees of customizable braces.

.020 x .026, a bracket slot that makes the most sense with your wires

For doctors that love the PSL workflow, but want an easier time finishing in a 19 x 25 wire, the .020 x .026 slot allows clinicians to pick up torque control earlier in treatment and maintain optimal threedimensional control of the teeth throughout the finishing phase.

The most advanced PSL Door

If a bracket door breaks, collects plaque, or selfopens, the benefits of self-ligating go out the window. A self-ligating door needs to be user-friendly for staff and dependable throughout treatment. The Norris 20/26® door employs the most advanced door technology and ensures doctors and clinical teams will love its reliability from start to finish.

Visit Booth No. 733 for the launch of The Norris 20/26® Bracket System

Stop by the booth to preview the most advanced SL Technology in an aesthetic ceramic bracket. Plus, each day we’ll have in-booth lectures, product demos, and great giveaways! See you in Chicago!

25 orthopracticeus.com Volume 14 Number 1 SPECIAL SECTION AAO SPECIAL SECTION
Visit DynaFlex at AAO Booth No. 733. THERE IS ONLY ONE... SL Bracket that has a truly precise .020 x .026 slot allowing for 3 common wires start to finish. SL Bracket that has the most advanced, reliable door technology for rapid wire changes. SL Bracket that will reduce patient visits and chair time without the expensive lab fees. www.dynaflex.com | 866-346-5665 AAO 2023 LAUNCH! .020 x .026 slot to better fit YOUR wires

EasyRx: an innovative workflow solution for labs and practices

EasyRx, a leading provider of universal lab prescription, digital workflow, and 3D software, is an all-in-one modern solution for orthodontic case management. With EasyRx, orthodontic workflows are simplified, allowing all prescriptions — including third-party cases such as Invisalign — to be submitted, managed, and tracked in one easy-to-use platform.

Faster communication

Communication between practices and labs is critical to patient care and timely appliance delivery. As such, EasyRx allows practices to monitor prescription status, view their lab’s standard pricing, and enter prescription feedback, opening communication and providing patients with better care. EasyRx integrates with practice management software and intraoral scanners for increased efficiency and communication.

In-house lab and 3D printing

EasyRx is the first and only in-house lab management software. In one efficient dashboard, technicians can keep track of all in-house lab cases, including digital files. The software also offers both AI-powered and user-controlled editing tools for in-house labs to manage and customize 3D printing.

One platform, many possibilities

Inefficient manual systems can bring orthodontic appliance production to a halt. EasyRx eliminates disruptions by organizing necessary critical orthodontic components — like prescription tracking, communication, and digital files — into one multi-purpose, integrated system. As a result, labs and practices can collaborate more easily to create higher-quality appliances, delivered on time, for a happier patient experience.

26 Orthodontic Practice US Volume 14 Number 1 SPECIAL SECTION AAO SPECIAL SECTION
Visit EasyRx at AAO Booth No. 633.

Gaidge debuts new Consult Manager

Organizing the entire new patient journey

Gaidge, the leader in practice analytics and business intelligence solutions, introduces the Gaidge Consult Manager. It provides comprehensive task management to track the entire patient journey from start to finish.

Patient queue dashboard — Here, your admin team can manage their tasks pertaining to your new patient workflow. All patients are organized within the dashboard, which shows users each task along with its completion status.

• Insurance tracking

• New patient form submissions

• Appointment confirmations

• Pending patients who need follow-up

• Where patients are in the conversion funnel

• Breakdown of treatment recommendations, outcomes, contracts, and fees

Payment presentation slider — Practices can offer patients flexibility by displaying treatment recommendations and fee

options.

• Patients can accept treatment remotely.

• Slider allows patients to adjust payments.

• Slider provides polished visuals, including custom text. Conversion reporting — Chart and graphical formats display everything from conversion ratios to financials, letting practices monitor starts and individual performance.

• Performance: Track case acceptance, starts, and exams by TC.

• Opportunities: View pending patients and follow-ups.

• Financials: Monitor contract amounts, fees, and production.

Gaidge Consult Manager includes Cloud 9™, Dolphin™, Tops, and Orthotrac software integrations, although manual entry functionality is also available. The entire patient process can be monitored and updated, streamlining practices’ conversion funnels, processes, and growth.

27 orthopracticeus.com Volume 14 Number 1 SPECIAL SECTION AAO SPECIAL SECTION
Visit Gaidge at AAO Booth No. 823.

Unlock aligner workflow for your fixed cases with KLOwen Ortho

Grow your practice with fewer clinic days and more effective patient treatments

Traditional brackets (invented in the 1800s) gave way nearly 200 years later to clear aligner therapy — improving doctor workflow with digital case setups. Today, in the wake of either type of start, orthodontists still struggle with repositioning and refinement appointments that annoyingly pick away at profitability and productivity.

Thankfully, the evolution of orthodontics is no longer stagnant. We welcome the emergence of custom braces, giving us more accurate finishes and 31% shorter treatment times. Daily stress drops away as repositioning is reduced by 81%, and wire bends are reduced by 45%. If you haven’t already, it’s time to explore the efficiency of custom braces.

The best qualities of brackets and clear aligners converge in custom braces. Digital setup, indirect bonding, precision brackets, and wires that virtually eliminate slop are helping practices achieve goals like fewer clinic days, more starts, and predictable outcomes. New treatment methods can feel daunting at first. There’s comfort in treating the same way for years. However, comfort can become complacency, and the KLOwen full custom digital solution should be on your radar if your goal is to grow as an orthodontist and practice owner.

KLOwen’s latest white paper dives into four orthodontists’ experiences and insights about making the lucrative switch to custom. You can find the white paper at www.klowenortho.com.

28 Orthodontic Practice US Volume 14 Number 1 SPECIAL SECTION AAO SPECIAL SECTION
Visit KLOwen Ortho at AAO Booth No. 1633.

Ormco – driving the future of orthodontics, together

Ormco has been collaborating with orthodontists for over 60 years to better understand their needs and challenges. When it comes to product innovation, we take our inspiration from the orthodontic experts we serve. With continuous investment in Research and Development, our solutions empower leading practices to improve patients’ smiles. This has led to a number of industry-first and breakthrough products and features including:

• The first true full expression system designed for faster and more precise finishing with the Damon Ultima™ System1

• The new Ultima™ Hook, the only repositionable hook2

• Proprietary ceramic bracket technology and advanced clear bracket design with Symetri™ Clear

• TruRoot™ for Spark™ Clear Aligners that allows doctors to see actual roots in the treatment plan

Along with the Damon Ultima System and Spark™ Clear Aligners, Ormco’s portfolio includes Titanium Orthos™, Symetri™ Clear, AOA Lab, Mini Twin™, and OrthoPulse® Light Accelerated Orthodontics™*. As part of the Envista family of companies, Ormco provides doctors with Dexis™ IS scanning solutions and Metrex™ infection prevention solutions.

You’ve built a vision for your practice, based on what’s best for your patients. With Ormco’s diverse portfolio of solutions for every orthodontic need, you’ll have the clinical freedom and flexibility to keep growing your practice and treating your patients your way.

1. Data on file.

2. Using the Ultima™ Hook Repositioning Instrument.

As an orthodontic specialist, you inspire us to create best-in-class products that enable greater clinical freedom, to continue our investment in R&D that leads to breakthrough features, and provide education and expert-led events, professional marketing resources, and a robust loyalty program that help you grow your practice.

29 orthopracticeus.com Volume 14 Number 1 SPECIAL SECTION AAO SPECIAL SECTION
Visit Ormco at AAO Booth No. 1020 to learn more.
SPARKTM
DEXISTM
1ORTHOPULSE® ULTIMATM
OrthoPulse® is a registered trademark of Biolux Technology GmbH and is distributed by Ormco. ©Ormco Corporation 2023 MKT-23-0219 GO-ORM.CO/OT-MISSION
DAMON ULTIMATM
ALIGNERS
IS SCANNERS MINI-TWINTM SYMETRITM CLEAR
HOOKS

TopsPay: Tops’ new feature transforms payment processing

Tops is excited to introduce TopsPay, a fully integrated payment processing tool that allows orthodontic practices to streamline operations and payment acceptance, minus extra fees and security risks.

Powerful protection

TopsPay ensures that practices meet high-level payment security standards.

• PCI compliance: Keeps data safe against third-party interception and fraud.

• Fraud prevention: Proactive technologies monitor and investigate accounts to detect unauthorized changes.

• Secure cloud architecture: State-of-the-art cloud architecture is continuously tested for vulnerabilities to ensure top security.

• Encryption: End-to-end encryption safeguards data so it can’t be intercepted or viewed by unauthorized parties.

More money, less problems

TopsPay is the ultimate time-saver that pays practices faster.

• Touch-free payments in-person or over the phone

• Scheduled, recurring payments to ensure on-time payments automatically

• Transparent pricing with zero surprises

The easiest way to pay

Risky, overpriced, and cumbersome payment collections can disrupt patient care. With TopsPay, practices get an allin-one secure platform that gives them everything to process payments quickly and put patients first.

30 Orthodontic Practice US Volume 14 Number 1 SPECIAL SECTION AAO SPECIAL SECTION
Visit Tops at AAO Booth No. 723.

Universal Orthodontic Lab & US Orthodontic Products

Introducing laser-sintered appliances!

Universal Orthodontic Lab is proud to introduce laser-sintered bands for all of your fixed-appliance needs. With the introduction of this cutting-edge technology, clinicians no longer need to take precious chairside time to fit patients with bands or schedule a separator appointment before delivery. Simply send in your scan, and let us take it from there. Our technology allows us to virtually fit your patients’ bands through an intraoral scan. Less appointments, more efficiency, and a fool-proof method of getting your patients the best fitting fixed appliances. Learn more about our new laser-sintered appliances at Booth No. 511.

Go digital today!

US Orthodontic Products is a proud distributor of the indus-

try-disrupting Medit Intraoral Scanners. Since the introduction of intraoral scanners, Medit has pioneered both the hardware and software aspects of digitizing dentistry. With their scanners, clinicians have benefited both financially and clinically. No more messy impressions, less chairside time, and no extra fees to use Medit’s software. Through constant innovation, Medit has made it a priority to provide clinicians flexibility with technology. Submit your scans to any lab that is registered with Medit, and start your new digital workflow today at Booth No. 511.

31 orthopracticeus.com Volume 14 Number 1 SPECIAL SECTION AAO SPECIAL SECTION
Universal Orthodontic Lab at AAO
No.
Visit
Booth
511.

THE LIGHTFORCE DIFFERENCE

Meeting the Modern Patient's Needs

It’s no secret going “fully digital” is the future of Orthodontics. Not just to streamline a practice's workflow, but to also meet the expectations of today's patient. With LightForce, doctors now have the opportunity to gain the efficiencies of a fully digitized practice with the largest segment of the orthodontic market, braces.

THE WORLD’S ONLY FULLYPERSONALIZED 3D-PRINTED BRACKET

END-TO-END DIGITAL WORKFLOW FOR FIXED APPLIANCES

OPTIMIZED TOOLS HELPING TO DRIVE REWARDING RESULTS

“With LightForce, doctors can, for the first time, operate a fully custom digital practice, differentiate their practice from others and most importantly, provide the patient with the only fully custom braces optionresulting in the most efficient treatment possible today."

VISIT WWW.LF.CO
CHRIS BENTSON BENTSON COPPLE & ASSOCIATES LLC

Advantages

Fully personalized bases fit individual tooth morphology for better bond strength.

Complete freedom of motion without relying on the FA point.

Accurate straight wire expression of custom bracket programming eliminates the need for repositioning and wire bending.

Goals Of the System

Eliminate wire bending

Eliminate repositioning

Reduce emergency appointments

Increase case profitability

Enhance scheduling efficiencies

Reduce doctor time per case

LIGHTFORCE FEATURED PRACTICE:

Waldman Orthodontics

Traditional Stock Brackets

Personalized Brackets

"LightForce is the best and highest standard of treatment. This is where our industry needs to go."
Scan with your phone to watch the entire video about Dr. Waldman's experience with LightForce. -DR. ALEX WALDMAN [OVER 500 LF CASES BONDED]
FOR MORE INFORMATION ABOUT LIGHTFORCE VISIT WWW.LF.CO

The role of the orthodontist in the cleft palate team

Drs. Chung How Kau, John Grant, Rene Myers, Kathlyn Powell, Nathaniel H. Robin, and Cassi Smola discuss a condition that can affect children from birth to teen years

Introduction

Orthodontists play an important role in the diagnosis and management of dentofacial anomalies and craniofacial malformations. Careful evaluation of facial growth, development of the dentition, and establishment of an optimal occlusion are important components of craniofacial care. In the instance of a patient with a cleft lip and palate (CLP), this begins in utero and often continues until the patient reaches adulthood. This seemly long period of patient care is unique to patients with craniofacial anomalies and is crucial to the overall success of the patient’s rehabilitation.

The orthodontist, however, is not alone and has to collaborate with a multi-disciplinary team that includes the pediatric craniofacial plastic surgeon, neurosurgeon, oral and maxillofacial surgeon, otolaryngologist, pediatrician, geneticist, dentist, speech and language pathologist, audiologist, nutritionist, psychologist, sleep medicine physician, social worker, and nursing staff.1 Each member of this team brings a unique perspective to cleft care, and their expertise enriches the patient outcome tremendously. This article

Chung H. Kau BDS, MScD, MBA, PhD, MOrthEdin, FDSGlas, FAMS(Ortho), FFDIre, FDSEdin, FACD, FICD, ABO, Cert (Ortho), is Professor of Orthodontics and Chair of the Department of Orthodontics at the University of Alabama-Birmingham (UAB), and a Craniofacial Orthodontist at the Cleft and Craniofacial Center at Children’s Hospital of Alabama in Birmingham.

John H. Grant III, MD, is James C. Lee Chair in Pediatric Plastic Surgery, Director of the University of UAB Cleft and Craniofacial Center, Professor of Surgery Division of Plastic Surgery at UAB-Birmingham.

René P. Myers, MD, is Associate Professor of Surgery, Neurosurgery, and Otolaryngology at UAB Division of Plastic Surgery; Program Director, UAB Integrated Plastic Surgery Residency, and Co-Director of the UAB Facial Nerve Clinic.

Kathlyn K. Powell, DMD, MD, is Associate Professor and Oral and Maxillofacial Surgery Residency Program Director and Director of Pediatric Oral and Maxillofacial Surgery in the Department of Oral and Maxillofacial Surgery at UAB School of Dentistry.

Nathaniel H. Robin, MD, is Professor and Medical Director in the Department of Genetics, Heersink School of Medicine at UAB-Birmingham.

Cassi Smola, MD, is Assistant Professor of Pediatrics, Division of Hospital Medicine at UAB-Birmingham.

Disclosure: Authors report no financial or other interests regarding any of the products mentioned in this article.

Educational aims and objectives

This self-instructional course for dentists aims to identify the role of specialists in the treatment of cleft palate and focus on the role of the orthodontist.

Expected outcomes

Orthodontic Practice US subscribers can answer the CE questions by taking the quiz online at orthopracticeus.com to earn 2 hours of CE from reading this article. Correctly answering the questions will demonstrate the reader can:

• Identify the parts of the interdisciplinary team for collaboration on cleft palate care.

• Define cleft palate.

• Realize the timing of clinical team interventions.

• Recognize the role of the orthodontist and possible intervention in certain time frames of the patient’s life.

2 CE CREDITS

will focus only on the role of the orthodontist in the team care and provides an overview of the crucial interventional periods.

Cleft lip and palate

A cleft lip and palate (CLP) occur when there is a failure of fusion of the facial structures between the 5th and 10th week of gestation.2 A cleft lip occurs when the frontonasal and maxillary processes fail to fuse during the 5th to 8th week of embryonic development. During the 8th to 10th week, a failure of fusion of the palatal shelves will lead to a cleft palate.

In modern days, pre-natal diagnosis of an oro-facial cleft using ultrasound technology is possible after at least 15 weeks of gestation. This type of technology has been used for over 30 years, but only cleft lip can be visualized with a high degree of certainty, while cleft palate is almost impossible to detect.

Timing of clinical team interventions

From the time of the birth of the child until adulthood, an entire team involvement is highly desirable. The American Cleft Palate-Craniofacial Association has established standards for each cleft team and ensures the long-term success of patient care. These standards include team composition, team management and responsibilities, patient and family/care giver communication, cultural competence, psychological and social

34 Orthodontic Practice US Volume 14 Number 1 CONTINUING EDUCATION

services, and outcomes assessment. The guidelines further state that the team must have, as a minimum core, professionals from the speech language pathology, surgery, and orthodontic specialties who participate in team meetings. Each patient should also have access to the other previously mentioned members of the team. The team care approach has been greatly recommended after studies from established cleft teams in European countries showed that centers with centralized care had better pooled resources, and the clinical outcomes were better compared to those centers that had a low volume of patients.

Exact clinical protocols are slowly beginning to be established as better evidence becomes available. At present, varying protocols and timing of treatment exists. The timing of the University of Alabama (UAB) cleft team’s involvement is summarized in Table 1.

Role of the orthodontist

The role of the orthodontist is crucial to the success of patient care. The care of the cleft patient may be broken into four main time frames which include the following:

Table 1: Clinical protocols and procedures

Patient ageClinical procedure

Pre-natal Diagnosis and clinical discussions

A. 0-3 months,

B. 7-10 years,

C. 10-14 years,

D. 17 years and above

0-3 Months: pre-surgical naso-alveolar molding (PNAM)

Pre-surgical alveolar molding is one of the first procedures carried out by the orthodontist in CLP patients.3 The procedures include a lip tape, alveolar molding, naso-alveolar molding, and lip adhesion. Often, a patient will present in the ward or at the team clinic within the first 10 days of life. Once the patient (parents) consent(s) to treatment, the orthodontist swaddles the baby and takes a dental impression of the alveolus with a polyvinyl siloxane medium body impression material. The working time is approximately 90 seconds, and it is crucial not to remove the impression tray too early. The baby may fuss or cry a little but often calms down after a few seconds. At the Cleft and Craniofacial Center at Children’s of Alabama, the baby often leaves with a lip tape in place. This taping process is done by squeezing the soft tissues around the cleft tightly together and securing it

Team members

Geneticist and Craniofacial Surgeon

0-1 months Genetic testing, speech, audiology, feeding, cleft assessmentAudiologist, Craniofacial Surgeon, Pediatrician, Speech pathologist, Geneticist

0-3 months Pre-surgical alveolar molding

3-6 months

9-18 months

4-8 years

7-10 years

11-14 years

Primary lip and nose repair once rule of 10s achieved

Soft and hard palate repair

Lip or palate revisions

Dental arch expansion, secondary alveolar bone graft and maxillary face-mask therapy

Mid-facial distraction osteogenesis and orthodontics

17 years and older Secondary orthodontics, orthognathic surgery, secondary rhinoplasty, and correction of residual soft tissue deformities

Orthodontist

Craniofacial Surgeon

Craniofacial Surgeon

Craniofacial Surgeon, Speech Pathologists, Otolaryngologist

Oral and Maxillofacial Surgeon and Orthodontist

Oral and Maxillofacial Surgeon and Orthodontist

Craniofacial Surgeon, Oral and Maxillofacial Surgeon, Orthodontist

35 orthopracticeus.com Volume 14 Number 1 CONTINUING EDUCATION
Figure 1: Pre-surgical nasal alveolar molding. This patient had lip taping, alveolar molding, and nasal molding followed by primary lip and nasal surgery. The total process took about 14 weeks, and the baby was seen at the cleft clinic every 10 days

with a lip tape (Steri-Strip (3M) or DynaCleft® tape) (Figure 1).

Patients normally return to the cleft team after a week, and the actual alveolar molding process begins. The goal of the molding process is to carefully approximate the alveolar segments together and to greatly reduce the size of the cleft defect (Figure 2). This is done by strategically and incrementally adding material to the alveolar plate and securing the plate back in the patient’s mouth using elastic tape. In some instances, small amounts of denture adhesives may also help to secure the alveolar plate to the patient’s gums.

When the alveolar segments are approximated to within 4 mm, the nasal molding process can begin. Some centers add a nasal stent to the alveolar plate, while others may use an external elastic nasal elevator similar to ones from DynaCleft. Patients normally return to the cleft team for adjustments every 10 days, and this process goes on until the patient is ready for surgery at 4 months. Patients seem to adapt better the earlier the treatment begins, and the alveolar plate can also help with feeding as it molds the alveolus.

Studies have found a significant reduction in size of the cleft and improvements in nasal symmetry with PNAM.4 As a result, many agree

36 Orthodontic Practice US Volume 14 Number 1 CONTINUING EDUCATION
Figure 2: The goal of alveolar molding is to careful mold the alveolar segments together and to reduce the cleft defect. When the alveolus is approximated to about 4 mm, nasal molding can begin Figure 3: A clinical depiction of the alveolar defect at the cleft site. Iliac bone is used to repair or reestablish the cleft defect. Demineralized bone matrix is used in many instances. (Picture courtesy of Dr. Peter Waite) Figure 4: The RED distractor is used to correct the maxillary hypolasia Figure 5: Internal distractors have also been used to successful distract the midface. These distractions require more patient cooperation and a second operation to remove the hardware

that the procedure is effective and improves overall esthetics and nasal symmetry.

7-10 years: dental arch expansion, secondary alveolar bone grafting, and maxillary facemask therapy

Secondary alveolar bone grafting is performed by the oral and maxillofacial surgeon at the ages of 7-11 years old to close the oro-nasal gap.5 There is less consensus on the timing of this procedure with some centers opting to start early (6-7 years), while others wait on the root development of the permanent maxillary canines (10-11years).6,7 The orthodontist may be involved before the alveolar grafting procedure depending on how collapsed the alveolar segments are. It is important to note that too aggressive arch expansion may open too much of the cleft defect and compromise the bony support of the teeth directly next to the cleft defect. Careful communication within the surgeon is necessary to ensure a good alveolar bone graft outcome.

The UAB protocol8 involves early extraction of primary teeth adjacent to the cleft followed by about 1 month for the keratinized gingival tissue to re-establish itself. The bone graft is done using the patient’s iliac bone and occurs before the permanent lateral incisors or canines erupt. Good outcomes may be expected from the secondary alveolar bone graft9 (Figure 3). As dental development occurs, dentofacial orthopedics with face mask therapy may be prescribed.

10-14 years: distraction osteogensis and orthodontics

In some instances, surgical distraction osteogenesis may be required to improve the maxillary deficiency. The concept of osteogenic distraction was popularized by a Russian surgeon Dr. Gabriel Ilizarov and later adapted to maxillary hypoplasia by using a Rigid External Distractor (RED) by Drs. John W. Polley and Alvaro A. Figueroa. Internal maxillary distractors have also been described and used.

These techniques are advocated in patients with significant mid-facial hypoplasia with negative dental overjets of more than -6 mm. When a RED is used, the orthodontist constructs an orthodontic appliance which comprises a labio-lingual rigid structure, metal arms that extend to the just in front of the lips, and an occlusal bite ramp to help disarticulate the occlusion. This appliance is placed intraorally before the RED surgery. The surgery involves conventional LeFort 1 osteotomies. After a 7-day latency period, the RED distractor is activated at a rate of 1 mm per day until the desired maxillary movement has occurred (Figure 4). It is not unusual to overcorrect the occlusion by 4-5 mm as some relapse is expected.10,11 Internal distractors

37 orthopracticeus.com Volume 14 Number 1 CONTINUING EDUCATION
Figure 6A: A patient with a bilateral cleft lip and palate. The overjet of the incisors were -9 mm, and the RED distractor was used to protract the midface Figure 6B: RED used in the clinical setting Figure 6C: Completed orthodontic result that has stayed stable for over 5 years

have also been used to improve the mid-facial hypoplasia. It is important to note that the vectors may not be uniformly distributed, and careful attention needs to be in place to support the maxillary dentition (Figure 5). Maxillary distraction seems to help with the psycho-social aspect of the patient and has a positive outcome during the crucial formative years of patients developing an identity. Once the sagittal jaw relationship has been corrected, conventional orthodontics can begin. This stage of orthodontics normally lasts for 2 years (Figure 6).

17 years and above: secondary orthodontics and orthognathic surgery

It is well documented that patients continue to mature and grow past 17 years of age. In some instances, the established occlusion from orthodontics can be undone by unexpected growth. A short course of pre-surgical orthodontics is performed followed by orthognathic surgery (Figure 7).

Conclusion

Cleft care by the orthodontist is an important part of patient success. This care should be performed by one who is experienced and has access to the resources of the cleft and craniofacial team. The successful rehabilitation of patients is high and predictable in modern days.

REFERENCES

1. Paradowska-Stolarz A, Mikulewicz M, Duś-Ilnicka I. Current Concepts and Challenges in the Treatment of Cleft Lip and Palate Patients-A Comprehensive Review. J Pers Med. 2022 Dec 19;12(12):2089.

2. Candotto V, Oberti L, Gabrione F, Greco G, Rossi D, Romano M, Mummolo S. Current concepts on cleft lip and palate etiology. J Biol Regul Homeost Agents. 2019 MayJun;33(3 Suppl. 1):145-151. Dental supplement.

3. Alzain I, Batwa W, Cash A, Murshid ZA. Presurgical cleft lip and palate orthopedics: an

overview. Clin Cosmet Investig Dent. 2017 May 31;9:53-59.

4. Clark SL, Teichgraeber JF, Fleshman RG, Shaw JD, Chavarria C, Kau CH, Gateno J, Xia JJ. Long-term treatment outcome of presurgical nasoalveolar molding in patients with unilateral cleft lip and palate. J Craniofac Surg. 2011 Jan;22(1):333-336.

5. Weissler EH, Paine KM, Ahmed MK, Taub PJ. Alveolar Bone Grafting and Cleft Lip and Palate: A Review. Plast Reconstr Surg. 2016 Dec;138(6):1287-1295.

6. Wallender A, Stone J. Bone Graft and Reconstruction of the Cleft Maxilla: Alveolar Bone Graft and Midface Distraction. Atlas Oral Maxillofac Surg Clin North Am. 2022 Mar;30(1):37-44.

7. Mundra LS, Lowe KM, Khechoyan DY. Alveolar Bone Graft Timing in Patients With Cleft Lip & Palate. J Craniofac Surg. 2022 Jan-Feb 01;33(1):206-210.

8. Miller LL, Kauffmann D, St John D, Wang D, Grant JH 3rd, Waite PD. Retrospective review of 99 patients with secondary alveolar cleft repair. J Oral Maxillofac Surg. 2010 Jun;68(6):1283-1289.

9. Kau CH, Medina L, English JD, Xia J, Gateno J, Teichgraber J. A comparison between landmark and surface shape measurements in a sample of cleft lip and palate patients after secondary alveolar bone grafting. Orthodontics (Chic.). 2011 Fall;12(3):188-195.

10. Alkhouri S, Waite PD, Davis MB, Lamani E, Kau CH. Maxillary Distraction Osteogenesis in Unilateral Cleft Lip and Palate Patients with Rigid External Distraction System. Ann Maxillofac Surg. 2017 Jan-Jun;7(1):57-63.

11. Vaughan SM, Kau CH, Waite PD. Novel Three-Dimensional Understanding of Maxillary Cleft Distraction. J Craniofac Surg. 2016 Sep;27(6):1462-1464.

38 Orthodontic Practice US Volume 14 Number 1 CONTINUING EDUCATION
OP
Figure 7A: Patient presented in the clinic with an unrepaired bilateral cleft at the age of 17 years Figure 7B: Careful orthodontic tooth movement after alveolar bone graft followed by orthodontic decompensation before orthognathic surgery Figure 7C: Orthodontic retention after conventional orthodontics and orthognathic surgery

Continuing Education Quiz

The role of the orthodontist in the cleft palate team

1. A cleft lip and palate (CLP) occur when there is a failure of fusion of the facial structures between the _________ week of gestation.

a. 2nd and 3rd

b. 5th and 10th

c. 12th and 14th

d. 15th and 16th

2. In modern days, pre-natal diagnosis of an oro-facial cleft using ultrasound technology is possible after at least _____________ of gestation.

a. 2 weeks

b. 5 weeks

c. 7 weeks

d. 15 weeks

3. _________ is one of the first procedures carried out by the orthodontist in CLP patients.

a. Pre-surgical alveolar molding

b. Dental arch expansion

c. Maxillary facemask therapy

d. Distraction osteogensis

4. Secondary alveolar bone grafting is performed by the oral and maxillofacial surgeon at the ages of 7-11 years old to close the oro-nasal gap.

a. True

B False

5. The orthodontist may be involved before the alveolar grafting procedure depending on _________.

a. the addition of the nasal stent

b. how collapsed the alveolar segments are

c. if Iliac bone is used to repair or reestablish the cleft defect

d. root development of the permanent maxillary canines

6. It is important to note that too aggressive arch expansion may __________.

a. open too much of the cleft defect

b. compromise the bony support of the teeth directly next to the cleft defect

c. greatly reduce the size of the cleft defect

d. both a and b

Each article is equivalent to two CE credits. Available only to paid subscribers. Free subscriptions do not qualify for the CE credits. Subscribe and receive up to 16 CE credits for only $149; call 866-579-9496, or visit https://orthopracticeus.com/ subscribe/ to subscribe today.

n To receive credit: Go online to https://orthopracticeus.com/continuingeducation/, click on the article, then click on the take quiz button, and enter your test answers.

AGD Code: 430

Date Published: March 15, 2023

Expiration Date: March 15, 2026

2 CE CREDITS

7. When a Rigid External Distractor (RED) is used, the orthodontist constructs an orthodontic appliance which comprises ________.

a. a labio-lingual rigid structure

b. metal arms that extend to the just in front of the lips

c. an occlusal bite ramp to help disarticulate the occlusion

d. all of the above

8. After a 7-day latency period, the RED distractor is activated at a rate of _______ per day until the desired maxillary movement has occurred.

a. 1 mm

b. 2 mm

c. 3 mm

d. 4 mm

9. ___________ seems to help with the psycho-social aspect of the patient and has a positive outcome during the crucial formative years of patients developing an identity.

a. Genetic testing

b. Pre-surgical alveolar molding

c. Maxillary distraction

d. Lip taping

10. Once the _____________, conventional orthodontics can begin.

a. lip taping process has been completed

b. sagittal jaw relationship has been corrected

c. primary lip and nose repair has been accessed

d. secondary alveolar bone graft has been completed

To provide feedback on CE, please email us at education@medmarkmedia.com

Legal disclaimer: Course expires 3 years from date of publication. The CE provider uses reasonable care in selecting and providing accurate content. The CE provider, however, does not independently verify the content or materials. Any opinions expressed in the materials are those of the author and not the CE provider. The instructional materials are intended to supplement, but are not a substitute for, the knowledge, skills, expertise and judgement of a trained healthcare professional.

39 orthotpracticeus.com Volume 14 Number 1 CONTINUING EDUCATION

Dental infections, part 2 — prophylaxis: help avoid antimicrobial resistance

Wiyanna K. Bruck, PharmD, and Jessica Price continue their discussion of concepts surrounding antibiotic prophylaxis in dentistry

Introduction

Use of antimicrobials in the field of dentistry is not limited to treating active dental infections. Many dentists prescribe antibiotics as a onetime dose prior to performing procedures. In fact, in the United States, general and specialty dentists are the third-highest prescribers of antibiotics in all outpatient settings.1 Moreover, looking at data from 2017 to 2019, it is estimated that somewhere between 30% to 85% of dental antibiotic prescriptions are “suboptimal or not indicated.”2-4 Appropriate use of antibiotics for prevention of infections surrounding dental procedures has received a lot of attention recently, which was illustrated by the American Dental Association (ADA) updating its antibiotic stewardship recommendations in the fall of 2020.5 It is well-known that antibiotics are one of the greatest medical advances that laid a foundation for an area of medicine, which has allowed once deadly infections to be readily treatable.6 However, excessive antibiotic use, even if it is just one dose, comes with consequences of side effects, antibiotic resistance, and superinfections like Clostridioides difficile.

Being attentive to appropriate antimicrobial prescribing is vital in all fields of healthcare, including dentistry, which is not limited to treatment, but also applies to antimicrobial prophylaxis.7,8 To aid in considering the threats of overusing antibiotics, but also being able to recognize when antibiotics are warranted, the Centers for Disease Control and Prevention (CDC) has constructed a Checklist for Antibiotic Prescribing in Dentistry (see

Educational aims and objectives

This self-instructional course for dentists aims to provide an overview of judicious use of antibiotics in the dental practice to avoid antimicrobial resistance.

Expected outcomes

Orthodontic Practice US subscribers can answer the CE questions by taking the quiz online at orthopracticeus.com to earn 2 hours of CE from reading this article. Correctly answering the questions will demonstrate the reader can:

• Observe some data regarding indications for appropriate use of antibiotics.

• Identify some ways to prevent transient bacteremia from dental procedures. Realize some published guidelines related to the prevention of infective endocarditis.

• Recognize antibiotic prophylaxis in regard to prosthetic joint Infections.

• Identify some pediatric considerations in antimicrobial prophylaxis.

2 CE CREDITS

Table 1). This checklist serves as an excellent supplement to concepts surrounding antibiotic prophylaxis in dentistry that will be discussed in further detail.9

Prevention of transient bacteremia from dental procedures

Wiyanna K. Bruck, PharmD, BCPS, BCIDP, BCPPS, is an assistant professor of Pharmacy Practice at South College School of Pharmacy as well as an Antimicrobial Stewardship and Emergency Medicine Clinical Pharmacist practicing at a community hospital. She teaches infectious diseases as well a pediatric pharmacotherapy to both pharmacy and physician assistant students. Dr. Bruck received her bachelor of science in biology, followed by a Doctorate of Pharmacy degree, and then completed a postgraduate pharmacy residency program at William Beaumont Hospital in Troy, Michigan. Her research interests include antimicrobial stewardship, infectious diseases, as well as food allergy awareness. Dr. Bruck is Boardcertified in pharmacotherapy, infectious diseases, and pediatrics.

Jessica Price is a Doctor of Pharmacy candidate at South College School of Pharmacy in Knoxville, Tennessee. She has a Bachelor of Arts degree in Advertising and Public Relations, with minors in Business and English Writing from the University of Central Florida. Price completed her post-baccalaureate track in Biology at Florida International University and at the University of Tennessee, Knoxville.

There are antibiotic prophylaxis recommendations for two types of patients undergoing invasive dental procedures, which include those with heart conditions who may be at an increased risk of infective endocarditis and those with prosthetic joint(s) who may be predisposed to the development of a hematogenous infection at the site of the prosthetic(s). The oral cavity is colonized with numerous microorganisms that comprise between 300 to 600 species of bacteria, fungi, and protozoa. The rationale for antibiotic prophylaxis is to reduce or eliminate transient or intermittent bacteremia (bacteria in the bloodstream) caused by invasive dental procedures that might result in more severe infections for these high-risk patients.10 Theoretically, patients with certain conditions and/or a compromised immune system might not be able to mount an immune response adequate to clear intermittent bacteremia originating from their oral flora. However, the exact risk is unknown as transient bacteremia from everyday activities (e.g., brushing teeth, chewing) might pose

40 Orthodontic Practice US Volume 14 Number 1 CONTINUING EDUCATION

Table 1: Checklist for antibiotic prescribing in dentistry

Pretreatment

• Correctly diagnose an oral bacterial infection.

• Consider therapeutic management interventions, which may be sufficient to control a localized oral bacterial infection.

• Weigh potential benefits and risk (i.e., toxicity, allergy, adverse effects, risk for Clostridioides difficile infection) of antibiotics before prescribing.

• Prescribe antibiotics only for patients of record and only for bacterial infections you have been trained to treat. DO NOT prescribe antibiotics for oral viral infections, fungal infections, or ulcerations related to trauma or aphthae.

• Implement national antibiotic prophylaxis recommendations for medical concerns for which guidelines exist (e.g., cardiac defects).

• Assess patients’ medical history and conditions, pregnancy status, drug allergies, and potential for drug-drug interactions and adverse events, any of which may impact antibiotic selection.

Prescribing

• Ensure evidence-based antibiotic references are readily available during patient visits. AVOID prescribing based on non-evidence-based historical practices, patient demand, convenience, or pressure from colleagues.

• Make and document the diagnosis, treatment steps, and rationale for antibiotics (if prescribed) in the patient chart.

• Prescribe only when clinical signs and symptoms of a bacterial infection suggest systemic immune response such as fever or malaise along with local oral swelling.

• Revise empiric antibiotic regimens on the basis of patient progress and, if needed, culture results.

• Use the most targeted (narrow-spectrum) antibiotic for the shortest duration possible (2 to 3 days after clinical signs and symptoms subside) for otherwise healthy patients.

• Discuss antibiotic use and prescribing protocols with referring specialists.

Patient Education

• Educate your patients to take antibiotics exactly as prescribed, take antibiotics only prescribed for them, and not save antibiotics for future illness.

Staff Education

• Ensure staff members are trained in order to improve probability of patient adherence to antibiotic prescriptions .

Reference: Printable checklist for antibiotic prescribing in dentistry available at: https://www.cdc.gov/oralhealth/infectioncontrol/faqs/antibiotic-stewardship.html

a higher risk for closed-spaced infections in these populations than transient bacteremia after a dental procedure in a patient without an active dental infection.11,13

Antibiotic prophylaxis: infective endocarditis

In 2008, the American Heart Association (AHA) published guidelines related to the prevention of infective endocarditis, which included guidance from the American Dental Association (ADA).13 The first iteration of the guidelines were supplemented with an updated scientific statement by the AHA in 2021.14,15 The scientific statement reaffirmed previous recommendations that prophylaxis is warranted in only a small subset of patients at highest risk of adverse outcomes. The recommendations consider the available evidence, weighing the benefits of preventing infective endocarditis with the risks, which include undue adverse effects as well as contribution to antimicrobial resistance. Moreover, these recommendations only apply to invasive dental procedures in which there is manipulation of the gingival tissue or periapical region of teeth, or perforation of the oral mucosa.16-18 The four broad categories of underlying conditions for which antimicrobial prophylaxis is advised are summarized in Table 2. The antibiotics suggested for use in those who are deemed to be at highest risk have empiric activity against the most common oral bacterial pathogens, most notably viridans group streptococci. The antibiotic regimen is chosen based on patients’ age, history of antibiotic allergy, and whether they can take oral medications (see Table

3). The antibiotic is given as a onetime by mouth dose 30 to 60 minutes prior to the invasive dental procedure; hence, prior to the dental appointment, patients would need to have a prescription written with enough time to have it filled and administered. If the prescription is inadvertently not taken by patients before the procedure, then it can be given up to 2 hours after the procedure.19

One notable change in the 2021 AHA recommendations is that clindamycin has been removed from the options for prophylaxis because it may cause more frequent and severe reactions than other antibiotics used for prophylaxis.19 Clindamycin used to be the recommended prophylactic agent for patients with severe penicillin allergies. However, clindamycin has a listed a black box warning for Clostridioides difficile infection (CDI), which can be seen with onetime doses. The Minnesota Health Department found that patients were significantly more likely to have received a prescription for clindamycin in comparison to patients who received prescriptions from other non-dental providers. In this same study between the years of 2009 to 2015, it was found that 15% of patients with community-acquired CDI were treated by their dentist showing that a onetime prescription can produce undue downstream effects.20 The suggested alternatives for individuals unable to tolerate penicillin and β-lactam agents are azithromycin, clarithromycin, or doxycycline. If a patient has a non-IgE mediated allergy to penicillin or ampicillin, first- or second-generation cephalosporins can be chosen.19

41 orthopracticeus.com Volume 14 Number 1 CONTINUING EDUCATION

Table 2: Underlying conditions for which antimicrobial prophylaxis is suggested (before certain dental procedures)19

Prosthetic cardiac valve or material

• Transcatheter implanted prosthetic valves

• Annuloplasty, rings, or clips

• Left ventricular assist devices or implantable heart

Previous, relapse, or recurrent infective endocarditis

Congenital heart disease [CHD]

• Unrepaired cyanotic congenital CHD (including palliative shunts, conduits)

• Completely repaired defect with prosthetic material/device within 6 months after procedure

• Repaired CHD with residual defects at/or adjacent to the site of prosthetic material

• Surgical or transcatheter pulmonary artery valve or conduit placement

Cardiac transplant recipients who develop cardiac valvulopathy

Antibiotic prophylaxis: prosthetic joint Infections

In contrast with antibiotic prophylaxis to prevent infective endocarditis, the ADA Council on Scientific Affairs concluded that “Evidence fails to demonstrate an association between dental procedures and prosthetic joint infections or any effectiveness for antibiotic prophylaxis.” Given this information in conjunction with the potential harm from antibiotic use, using antibiotics before dental procedures is not recommended to prevent prosthetic joint infections. Additional case control studies are needed to increase the level of certainty in the evidence to a level higher than moderate.21 Due to the paucity of available literature in this area, there may be individual scenarios when it is not apparent if antibiotic prophylaxis is indicated. In these cases, all patients, their risk of invasive infection due to oral pathogens after a dental procedure, as well as the risks and the benefits of antibiotic prophylaxis should be carefully weighed.21-26 However, the ADA guidelines cite that in cases where antibiotics are deemed necessary, it is most appropriate that the orthopedic surgeon recommend the appropriate antibiotic regimen and, when reasonable, write the prescription.

Pediatric considerations in antimicrobial prophylaxis

Pediatric dosing considerations for antimicrobial prophylaxis are also found in the AHA guidelines as seen in Table 3. Recommendations for pediatric patients are similar to adults with respect to empiric pathogen coverage, type of dental procedure warranting prophylaxis, and the use of a single oral prophylactic antibiotic dose. Clinicians should ensure the pediatric weightbased dose does not exceed a single adult dose.26 Pediatric patients are approached with less concrete guidance than adult patients, which has been described in separate documents. More discussion regarding pediatric patients with a compromised immune system who may be at an increased risk of complications of bacteremia are discussed in the Reference Manual of Pediatric Dentistry.16,27 In the Best Practice Report provided by the ADA Council on Scientific Affairs, it is mentioned that there is a lack of data to fully support antimicrobial prophylaxis as well

which high-risk patients should be considered for antimicrobial prophylaxis. Several additional conditions could also warrant prophylaxis for pediatric patients, including the following:

• immunosuppression secondary to human immunodeficiency virus (HIV)

• severe combined immunodeficiency (SCIDS)

• neutropenia

• cancer chemotherapy

• stem cell or solid organ transplantation

• history of head and neck radiotherapy

• autoimmune disease

• sickle cell anemia or other asplenia

• chronic high dose steroid use

• uncontrolled diabetes

• bisphosphonate therapy

• hemodialysis27

Additionally, if a patient undergoing an invasive dental procedure has a vascular shunt, a consultation with the child’s physician is warranted to guide the need for and selection of antibiotic prophylaxis.

Summary

It is not only imperative to be cautious with antibiotic overprescribing for the intended treatment of dental infections, but also equally important that careful consideration is taken prior to prescribing antibiotics for dental infection prophylaxis. Although prophylaxis is generally a onetime dose of antibiotics, there is still the potential for negative downstream effects of antimicrobial resistance and/or undue side effects. Table 1 provides a summary of tools that can be utilized to assist dental practitioners in curbing antimicrobial threats surrounding dental prophylaxis as well as dental infection treatment.

REFERENCES

1. Durkin MJ, Hsueh K, Haddy Y, et al. An evaluation of dental antibiotic prescribing practices in the United States. J Am Dent Assoc. 2017;148(12):878-886.

2. Gross AE, Hanna D, Rowan SA, et al. Successful implementation of an antibiotic stewardship program in an academic medical practice. Open Forum Infect Dis. 2019;6(3): 1-6.

42 Orthodontic Practice US Volume 14 Number 1 CONTINUING EDUCATION
OP

Table 3: Single-dose antibiotics for prophylaxis prior to certain dental procedures: given 30 to 60 minutes prior to procedure19

Able to take PO, but allergic to penicillin or ampicillin

Unable to take PO (give agents IV or IM)ampicillin

IM = intramuscular; IV = intravenous; PO = oral

* Or other 1st or 2nd generation cephalosporin in equivalent adult or pediatric dosing

∆ Cephalosporins should not be used in patients with a history of anaphylaxis, angioedema, or urticaria with penicillin or ampicillin

» Allergic to penicillin or ampicillin and unable to take PO medications

¥ Pediatric weight-based dosing should NOT exceed adult single dose recommendations

3. Suda KJ, Henschel H, Patel MA, et al. Use of antibiotic prophylaxis for tooth extractions, dental implants, and periodontal surgical procedures. Open Forum Infect Dis. 2018;5(1): 1-5.

4. Loffler C, Bohmer F. The effect of interventions aiming to optimise the prescription of antibiotics in dental care: a systematic review. PLoS One. 2017:12(11):1-23.

5. American Dental Association. Oral health topics: Antibiotic prophylaxis prior to dental procedures. American Dental Association website. Last updated January 5, 2022. Available at: https://www.ada.org/resources/research/science-and-research-institute/ oral-health-topics/antibiotic-prophylaxis Accessed October 27, 2022.

6. Macfarlane G. Alexander Fleming: The Man and the Myth. Harvard University Press; 1984.

7. Fluent MT, Jacobsen PL, Hicks LA. Considerations for responsible antibiotic use in dentistry. J Am Dent Assoc. 2016;147(8):683-686.

8. Dana R, Azarpazhooh A, Laghapour N, Suda KJ, Okunseri C. Role of dentists in prescribing opioid analgesics and antibiotics: an overview. Dent Clin North Am. 2018;62(2):279-294.

9. Centers for Disease Control and Prevention. Printable Checklist for Antibiotic Prescribing in Dentistry: https://www.cdc.gov/oralhealth/infectioncontrol/faqs/antibiotic-stewardship.html. Accessed October 27, 2022.

10. American Dental Association. Oral health topics: Antibiotic prophylaxis prior to dental procedures. American Dental Association website. Last updated January 5, 2022. Available at: https://www.ada.org/resources/research/science-and-research-institute/ oral-health-topics/antibiotic-prophylaxis Accessed October 27, 2022.

11. Duval X, Leport C. Prophylaxis of infective endocarditis; current tendencies, continuing controversies. Lancet Infect Dis. 2008; 8:225-232.

12. Goff DA, Mangino JE, Glassman AH, et al. Review of guidelines for dental antibiotic prophylaxis for prevention of endocarditis and prosthetic joint infections and need for dental stewardship. Clin Infect Dis. 2020;71(2):455-462.

13. Wilson W, Taubert KA, Gewitz M, et al. Prevention of infective endocarditis: guidelines from the American Heart Association: a guideline from the American Heart Association Rheumatic Fever, Endocarditis and Kawasaki Disease Committee, Council on Cardiovascular Disease in the Young, and the Council on Clinical Cardiology, Council on Cardiovascular Surgery and Anesthesia, and the Quality of Care and Outcomes Research Interdisciplinary Working Group. J Am Dent Assoc. 2008;139(suppl):3S-24S.

14. Nishimura RA, Otto CM, Bonow RO, et al. 2017 AHA/ACC Focused Update of the 2014 AHA/ACC Guideline for the Management of Patients with Valvular Heart Disease: A Report of the American College of Cardiology/American Heart Association Task Force on Clinical Practice Guidelines. Circulation. 2017;135(25): e1159-e1195.

15. Wilson WR, Gewitz M, Lockhart PB, et al. Prevention of Viridans Group Streptococcal

Infective Endocarditis: A Scientific Statement from the American Heart Association. Circulation. 2021;143:e963-e978.

16. Loyola-Rodriguez JP, Franco-Mrianda AF, Loyola-Leyva A, et al. Prevention of infective endocarditis and bacterial resistance to antibiotics: A brief review. Spec Care Dentist. 2019;39:603-609.

17. Goff DA, Mangino JE, Glassman AH, et al. Review of guidelines for dental antibiotic prophylaxis for prevention of endocarditis and prosthetic joint infections and need for dental stewardship. Clin Infect Dis. 2020;71(2):455-462.

18. Chen TT, Yeh YC, Chien KL, et al. Risk of infective endocarditis after dental treatments. Circulation. 2018; 138(4):356-363.

19. Thornhill MH, Dayer M, Lockhart PB, Prendergast B. Antibiotic prophylaxis of infective endocarditis. Curr Infect Dis Rep. 2017;19(2):9.

20. Bye M, Whitten T, Holzbauer S. Antibiotic Prescribing for Dental Procedures in Community-Associated Clostridium difficile cases, Minnesota, 2009-2015. Open Forum Infect Dis. 2017;4(Suppl 1):S1.

21. Sollecito TP, Abt E, Lockhart PB, et al. The use of prophylactic antibiotics prior to dental procedures in patients with prosthetic joints: Evidence-based clinical practice guideline for dental practitioners — a report of the American Dental Association Council on Scientific Affairs. J Am Dent Assoc. 2015;146(1):11-16 e8.

22. Watters W 3rd, Rethman MP, Hanson NB. Prevention of Orthopaedic Implant Infection in Patients Undergoing Dental Procedures: J Am Acad Orthop Surg. 2013;21(3): 180-189.

23. Rethman MP, Watters W,3rd, Abt E, et al. The American Academy of Orthopaedic Surgeons and the American Dental Association clinical practice guideline on the prevention of orthopaedic implant infection in patients undergoing dental procedures. J Bone Joint Surg Am. 2013;95(8):745-747.

24. Meyer DM. Providing clarity on evidence-based prophylactic guidelines for prosthetic joint infections. J Am Dent Assoc. 2015;146(1):3-5.

25. American Dental Association-Appointed Members of the Expert Writing and Voting Panels Contributing to the Development of American Academy of Orthopedic Surgeons Appropriate Use Criteria. American Dental Association guidance for utilizing appropriate use criteria in the management of the care of patients with orthopedic implants undergoing dental procedures. J Am Dent Assoc. 2017;148(2):57-59.

26. Quinn RH, Murray JN, Pezold R, Sevarino KS. The American Academy of Orthopaedic Surgeons Appropriate Use Criteria for the Management of Patients with Orthopaedic Implants Undergoing Dental Procedures. J Bone Joint Surg Am. 2017;99(2):161-163.

27. American Academy of Pediatric Dentistry. Antibiotic prophylaxis for dental patients at risk of infection. The Reference Manual of Pediatric Dentistry. American Academy of Pediatric Dentistry. 2019:416-421.

43 orthopracticeus.com Volume 14 Number 1 CONTINUING EDUCATION
Situation Antibiotic Single Dose for Adults Single Dose for Children¥
to
amoxicillin 2000 mg 50 mg/kg
Able
take PO
cephalexin* 2000 mg 50 mg/kg azithromycin 500 mg 15 mg/kg clarithromycin doxycycline 100 mg < 45 kg = 2.2 mg/kg > 45 kg = 100 mg
2000 mg 50 mg/kg cefazolin∆» 1000 mg 50 mg/kg ceftriaxone∆» 1000 mg 50 mg/kg

Continuing Education Quiz

Dental infections, part 2 — prophylaxis: help avoid antimicrobial resistance

BRUCK/PRICE

1. In the United States, general and specialty dentists are the _______ prescribers of antibiotics in all outpatient settings.

a. highest

b. second highest

c. third highest

d. fourth highest

2. Looking at data from 2017 to 2019, it is estimated that somewhere between 30% to _________ of dental antibiotic prescriptions are “suboptimal or not indicated.”

a. 40%

b. 60%

c. 85%

d. 92%

3. The oral cavity is colonized with numerous microorganisms that comprise between 300 to 600 species of _______.

a. bacteria

b. fungi

c. protozoa

d. all of the above

4. Regarding guidelines related to the prevention of infective endocarditis from the American Heart Association and American Dental Association, antibiotic prophylaxis is warranted ________.

a. for every patient undergoing a dental procedure

b. in only a small subset of patients at highest risk of adverse outcomes

c. only for patients prone to joint infections

d. only for patients who ask for it

5. One notable change in the 2021 AHA recommendations is that ______ has been removed from the options for prophylaxis because it may cause more frequent and severe reactions than other antibiotics used for prophylaxis.

a. clindamycin

b. penicillin

c. azithromycin

d. doxycycline

6. ____________ used to be the recommended prophylactic agent for patients with severe penicillin allergies.

a. Doxycycline

b. Azithromycin

c. Clindamycin

d. Penicillin

Each article is equivalent to two CE credits. Available only to paid subscribers. Free subscriptions do not qualify for the CE credits. Subscribe and receive up to 16 CE credits for only $149; call 866-579-9496, or visit https://orthopracticeus.com/ subscribe/ to subscribe today.

n To receive credit: Go online to https://orthopracticeus.com/continuingeducation/, click on the article, then click on the take quiz button, and enter your test answers.

AGD Code: 010

Date Published: March 15, 2023

Expiration Date: March 15, 2026

2 CE CREDITS

7. If a patient has a non-IgE mediated allergy to penicillin or ampicillin, ________ can be chosen.

a. first- or second-generation cephalosporins

b. clarithromycin

c. doxycycline

d. levaquin

8. (Regarding prosthetic joint infections) The ADA guidelines cite that in cases where antibiotics are deemed necessary, it is most appropriate that the ________ recommend the appropriate antibiotic regimen and, when reasonable, write the prescription.

a. oral surgeon

b. orthopedic surgeon

c. orthodontist

d. internist

9. When prescribing antibiotics for pediatric patients, clinicians should ensure the pediatric weight-based dose does not exceed a single adult dose.

a. True

b. False

10. As shown in Table 3, single-dose antibiotics for prophylaxis prior to certain dental procedures should be given _____ prior to procedure.

a. 30 to 60 minutes

b. 2 to 3 hours

c. the night before

d. the day before

To provide feedback on CE, please email us at education@medmarkmedia.com

Legal disclaimer: Course expires 3 years from date of publication. The CE provider uses reasonable care in selecting and providing accurate content. The CE provider, however, does not independently verify the content or materials. Any opinions expressed in the materials are those of the author and not the CE provider. The instructional materials are intended to supplement, but are not a substitute for, the knowledge, skills, expertise and judgement of a trained healthcare professional.

44 Orthodontic Practice US Volume 14 Number 1 CONTINUING EDUCATION

Boyd Industries — durability, reliability, and craftsmanship

“Built to Last. Built for You. Built by Boyd” is more than a tagline; it signifies the commitment that everyone at Boyd makes to each and every one of our customers. Best known for the durability and reliability of our award-winning products — including treatment chairs, mobile storage, and clinical cabinetry — we combine over 60 years of design and manufacturing expertise to perfectly fit your unique space and personal style. We take great pride in the craftsmanship and longevity of all products built at our U.S.-based facility, so you can take pride in your office for years to come.

Learn more about our featured products

The new M3000LS Exam and Treatment Chair is the most popular option among orthodontists, combining affordability, function, as well as the best features of Boyd’s award-winning –LC model chair. Using state-of-the-art components, the –LS starts 2” lower at the home position and reclines up to 35% faster than the –LC, guaranteeing Boyd’s proven reliability and ergonomic design with more versatile positioning and improved efficiency.

Perfect for orthodontic consultation rooms, the award-winning M3010 Series Exam and Treatment Chairs’ synchronized drop-toe design provides your patients with the most natural seated position during consultations or minor exams. Like the M3000LS, these chairs come standard with all-steel frame construction, ergonomic winged backs, integrated full-function foot control, and more. Enhance these chairs with Ultraleather Pro™ upholstery and Memory Foam cushioning for maximum comfort.

To complement your exam and treatment chairs, Boyd offers 10 standard Delivery Unit models for chairside, rear, or con-

cealed delivery. With a nearly limitless selection of laminate colors and grains, these units combine functionality, efficiency, and style. Choose standard or square back models, depending on your unique storage and space requirements. We recommend the CSU-356 Delivery Unit, which offers ample storage in a unit less than 25” wide.

The BOS-279, Boyd’s most popular Doctor/Assistant Seat, offers an ergonomic saddle seat, adjustable seat height and tilt, and a floating lumbar-support back. You’ll find a perfect fit with the seat’s wide range of possible adjustments. Like our patient chairs, Boyd’s doctor/assistant seats are designed with your longterm comfort and spinal health in mind.

Complete your project with Boyd’s LED Exam Lights, which provide the latest in operatory light technology. Their cool, power-efficient, and reliable LEDs emit clear and natural white light for maximum visibility. Choose the C300 LED Exam Light for its regeneration light technology, with an IR sensor with intensity up to 30,000 LUX and 95Ra rendering, three-axis head movement, and adjustable, sterilizer-safe hand grips. Choose the C500 Camera Exam Light for its built-in HD video camera, hands-free operation, selection of three different color temperatures, and more.

The Boyd team has made every effort to create specialized products that are truly “Built for You.” These featured orthodontic products can be combined with Boyd’s custom clinical and office cabinetry — with nearly limitless combinations of color and print laminates — to create a cohesive office space. The Boyd Team offers the widest range of personalization options in the industry to meet every doctor’s unique needs, so feel free to consult your sales representative about your specific requests.

For more information or to request a quote, visit us at www. boydindustries.com.

45 orthopracticeus.com Volume 14 Number 1 PRODUCT SPOTLIGHT
OP
This information was provided by Boyd Industries. Vincent Team Orthodontics in Sandy, Utah

Ormco – Driving the future of orthodontics with Spark ™ Clear Aligners & Damon Ultima

Spark™ Clear Aligner System

Spark’s advanced technology enables more sustained force retention and better surface contact with the tooth compared with the leading aligner brand.* The superior force retention and surface contact of the Spark aligner is due to its manufacturing technology. Spark Aligners are made with 80% better printing resolution and a more uniform surface texture than the leading aligner brand.*

In addition, doctors can obtain results without the need to resort to optimized attachments. Spark’s beveled attachments conform to the surface of each tooth of the patient to provide a more uniform active attachment surface.*

Plus, Spark’s Approver software is designed to give orthodontists start-to-finish control for more efficient and effective treatment planning. CBCT integration lets orthodontists import and visualize CBCT patient data, while posterior Bite Turbos can be added to address complex cases.*

Spark’s proprietary CBCT features

• Root visualization provided on all cases (not only on those submitted via CBCT)

• Three preset views: Skin, Translucent Skin, and Bone and Soft Tissue

• Clipping plane available in three different views (axial, coronal, and mesial-distal)

• No delays! Doctors can continue to work on the prescription form while uploading the DICOM file

• Available on all Spark products for increased control and flexibility: Spark Advanced, Spark 20, and Spark 10.*

To learn more about Spark™ Clear Aligners, please visit https://ormco.com/spark.

The Damon Ultima™ System

The Damon Ultima™ System is the first true full expression* orthodontic system with a proprietary integrated wire and slot design that virtually eliminates play for faster and more precise finishing.* It provides orthodontists with earlier and precise control of rotation, angulation, and torque.* This unique and patented technology is designed to deliver the signature Damon™ Smile, resulting in full expression with lighter forces to treat in less time and to fully express your prescription with fewer wire bends.* With this system, 98.9% of cases were determined to

have first-order rotations corrected with the first round-sided rectangular wire, and full expression is achieved with the second.* After all rotations are corrected, the wire/bracket interface returns to a passive state while maintaining the desired rotational alignments throughout the remainder of treatment with the .0275" dimension wires.*

Options for enhanced torque control

The Damon Ultima brackets are available in the neutral, retrocline, and procline options for enhanced torque control.* Larger size and different material Damon Ultima archwires are available for more torque control when needed.

New! The Ultima™ Hook

Introducing the Ultima Hook, the only re-positionable hook1 , designed to save time for doctors who value performance and want to provide patients with healthier2 oral treatment and more comfortable experience.*

To learn more about the Damon Ultima System, please visit https://ormco.com/products/damon-ultima-system/ or https://ormco.com/ultimahooks.

Join us at AAO Booth No. 921 to learn more about how orthodontists like you are using Spark Aligners and Damon Ultima to achieve great finishes and beautiful smiles. Be sure to ask about our On-Site Promotions.

OP

* Data on file.

1. Using the Ultima™ Hook Repositioning Instrument. 2. When used as a stop. ** Source article: https://www.mdpi.com/1198216 This information was provided by Ormco.

46 Orthodontic Practice US Volume 14 Number 1 PRODUCT PROFILE

Implications of the False Claims Act

Kerry Cahill, Esq., discusses how practitioners need to protect themselves even in altruistic circumstances

Altruism and the ability and competency to help others are replete in the dental profession. In most providers’ experience, patients have approached those who may not be able to afford their services. With inflation continuing to rise, many patients may not have the financial means to afford reconstructive or cosmetic dentistry, orthodontics, or endodontics. However, if a practice accepts federal funds such as Medicaid, FEDVIP, or the Enhanced Provider Relief Fund Payments, and the practitioner is considering offering discounted rates, be forewarned — these discounts have the potential to run afoul of the federal False Claims Act (FCA), 31 U.S.C. § 3729 et seq., and its equivalent statutory state counterparts.

The False Claims Act

Under the FCA, there are four primary provisions that practitioners should understand.

• First, it is unlawful to knowingly submit a false or fraudulent claim to the federal government for payment or approval, 31 U.S.C. § 3729(a).

• Second, it is unlawful to directly or indirectly make or use a false record or statement in support of a false or fraudulent claim, 31 U.S.C. § 3729(b).

• Third, it is unlawful to possess, have custody, or control of property or money used by the government, while delivering less than its full value, 31 U.S.C. § 3729(d).

• Fourth, conspiring to participate in any of the foregoing activities is also prohibited, 31 U.S.C. § 3729(c).

Although there is no statutory definition as to what constitutes a “false” claim, relevant case law provides that a claim is factually false “when the claimant misrepresents what goods or services that it provided to the Government,” (United States ex rel. Wilkins v. United Health, 659 F.3d 295, 305 [3d Cir. 2011]).

Indisputably, billing for services not provided, upcoding, and illegal kickbacks are unlawful and would warrant FCA claims. Conversely, providers may have the most altruistic intentions with respect to rendering clinical services and unknowingly subject themselves to a potential FCA claim. A provider who offers discounted rates or prepayment incentives to patients who he/she knows are uninsured or underinsured, or who are asset limited, income constrained, and employed (ALICE) may be problematic.

As a matter of practicality, when a provider offers or accepts discounted rates or fails to universally balance bill and collect from his/her patients, the provider may have exposure under the FCA. For example, if a provider receives $250.00 per hour from Medicaid, is reimbursed on average $200.00 per hour after balance billing privately insured individuals, and charges his/her uninsured patients $150.00 per hour, there is an inherent question as to the true value of the provider’s services. Is the true value of the services $150.00 or $250.00? With niche orthodontic, endodontic, or implant practices, these payment discrepancies may be very large. As a result, this discrepancy in valuation often leads to costly protracted litigation, which can include a lengthy trial. At present, if found liable for an FCA violation, a civil penalty of between $5,500 and $11,000 is assessed per claim, plus 3 times the amount of damages which the government sustains because of the act, 31 U.S.C. § 3729(a)(1).

“Qui tam” cases are on the rise

Additionally, providers should note that it is not just the government that may institute suit. In addition to allowing the United States to pursue FCA violators, the FCA allows private citizens (called relators) to file suits on behalf of the U.S. government (called “qui tam” suits) against those who have defrauded the government. Private citizens who successfully bring qui tam actions may receive a portion of the government’s recovery, 31 U.S.C. §3730(d). If the government declines to pursue the claim, and the relator prevails, it is statutorily entitled to recover 25% to 30% of the damages, in addition to being reimbursed reasonable counsel fees. The significant reward in assertion of these claims is evidenced by the U.S. Department of Justice’s collection of more than $5.6 billion settlements and judgments for the fiscal year ending on September 30, 2021.*

47 orthopracticeus.com Volume 14 Number 1 LEGAL MATTERS
Kerry Cahill, Esq., is an attorney with Lindabury, McCormick, Estabrook & Cooper, P.C. (www.lindabury.com) based in Westfield, New Jersey. Her practice focuses on advising clients in the healthcare industry — including dentists, orthodontists, and endodontists. She can be reached at kcahill@lindabury.com.

Insurance coverage is questionable

Generally, practitioners can obtain Commercial General Liability (CGL), Employment Practices Liability (ELI/EPLI), malpractice, and umbrella policies to offset a large amount of risk associated with maintaining their practices. Also, practitioners may maintain a Directors and Officers (“D&O”) policy, in order to protect the personal assets or corporate directors and officers from liability resulting from their management decisions. However, be forewarned that FCA claims may be excluded from coverage under any potentially applicable insurance policies that the practitioner and practice may have. As a result, a practitioner without insurance coverage may have to pay any damages awarded against it.

Practice mitigation of liability

In spite of risk of potential FCA claims, there are a number of preemptive measures a practitioner can take to mitigate its risk. Ensuring that a practice is adequately structured is imperative. When forming a practice, practitioners should take into consideration the roles and responsibilities that they will directly and indirectly undertake — for example, whether they will be handling their own billing, contracting with a third-party billing service, or partnering with a Management Services Organization (MSO).

Additionally, having a well-defined Operating Agreement and up-to-date policies and procedures is integral. Together, these should delineate the responsibilities of the practitioners, their staff, and the patients with respect to handling billing

matters. For practitioners in a group practice, the Operating Agreement should address insurance and the apportionment of liability for potential FCA claims among the practitioners. Even if a practice relies upon a separate business entity such as an MSO, this may not insulate the practitioner’s liability. Under the FCA, if a provider has actual knowledge or is deliberately ignorant or recklessly disregards the truth or falsity of the information, it may face liability, 31 U.S.C. § 3729(b)(1). As a result, it is imperative to have contractual provisions with third-party billing agencies regarding the communication and status of billing practices, adequate levels of insurance, and indemnification provisions.

Next, diligent record keeping and records retention are of the utmost importance. This obligation extends to all records relating to the treatment of a patient. For some FCA claims, the issue in question is whether the services for which payment was requested or received from the federal government were actually rendered. By following best practices, practitioners can provide an affirmative defense that they relied upon universally accepted industry practices, which can help to mitigate damages.

Finally, conducting periodic audits and reviews of patient reimbursement rates is wise. Similar to the preceding, these audits and reviews help the practice to implement practical policies and procedures, which can be timely modified — if necessary.

OP

* Department of Justice. Office of Public Affairs. Justice News. Justice Department’s False Claims Act Settlements and Judgments Exceed $5.6 Billion in Fiscal Year 2021. https:// www.justice.gov/opa/pr/justice-department-s-false-claims-act-settlements-and-judgmentsexceed-56-billion-fiscal-year. Accessed June 24, 2022.

Orthodontic Practice US Webinars

LEARN about the lastest techniques and technology from industry leaders with our free live and archived educational webinars. Our online seminars are a convenient way to access great information and upskill. Check out our most recent webinars:

• Orthodontic Trends:

How to Better Leverage Practice

Data with host Ryan Moynihan

• Efficient and Effective Virtual Visits in the Orthodontic Office with host Dr. Dan Bills

• Grow Your Practice With New-To-Orthodontic

Consumers with hosts Drs. John Pham & Scott Schwartz

48 Orthodontic Practice US Volume 14 Number 1 LEGAL MATTERS
WATCH NOW at https://orthopracticeus.com/webinars/ Connect. Be Seen. Grow. Succeed. | www.medmarkmedia.com
1 year print $149 1 year digital only $79 Connect. Be Seen. Grow. Succeed. | www.medmarkmedia.com Address the Orthodontic Complexities You Face Everyday with... 3 EASY WAYS TO SUBSCRIBE VISIT https://orthopracticeus.com/subscribe EMAIL subscriptions@medmarkmedia.com CALL 1.866.579.9496 SUBSCRIBERS BENEFIT FROM: 16 continuing education credits per year Clinical articles enhanced by high-quality photography Analysis of the latest groundbreaking developments in orthodontics Technology reviews of the latest products Real-life profiles of successful orthodontic practices Practice management advice on how to make orthodontics more profitable Orthodontic Practice US 4 issues per year

A SENSAT NAL & GENTLE CLEAN DESIGNED FOR

SYSTEM INCLUDES:

• Oral-B® iO™ Electric Rechargeable Toothbrush

• Crest® Braces Care Toothpaste (4.1 oz)

• Crest® Braces Care Mouthwash (475 mL)

• Oral-B® Superfloss™ Mint (50 ct.)

Brush head refills include:

• Ultimate Clean • Targeted Clean 3 units/case

FREE downloadable practice management materials also available (simply scan QR code and look in resources tab).

©

ORDER AT CRESTORALBPROSHOP.COM
ORTHO
SUCCESS
2023 P&G ORAL-30446 PWR0024 Brought to you by

Turn static files into dynamic content formats.

Create a flipbook
Issuu converts static files into: digital portfolios, online yearbooks, online catalogs, digital photo albums and more. Sign up and create your flipbook.