2025 Natural Awakenings Tucson Health & Wellness Guide

Page 1


• Safe Mercury Amalgam Removal (SMART)

Certified Dentist

• Heavy Metal Testing

• Vitamin Testing

• Ozone Therapy

• Biocompatible Tooth Colored Fillings

• Extractions/Cavitation

Surgery/Protein

Fibrinogen

• All Porcelain Crowns and Bridges

• Partial Dentures

• Infant/Child/Adult Tongue Tie Release

• Fluoride FREE

• Laser Therapy

Board

Advanced

Masters

IAOM

Masters

Advanced

Preventative

Restorative Therapies

Barbara Rogers has built a career on reinvention. Since earning her Master of Arts from the University of California, Berkeley, she has continually evolved, shaped by life-changing experiences. Her work captures nature’s fragmented beauty, a theme celebrated in Barbara Rogers: The Imperative of Beauty (Hudson Hills Press).

In this month’s cover art, Rogers explores the interplay of abstraction and nature, revealing deep emotional and environmental connections. “There’s something magical about the fleeting presence of a hummingbird—it bridges the wild and the familiar, reminding us of nature’s constant dance around us. No matter how often we see a hummingbird in the garden, it never fails to spark a sense of wonder and connection with Arizona’s wildlife. It’s such a visual delight to spot one, no matter what else is happening—it’s a beautiful reminder to keep the feeder full.”

This piece is part of her My Garden: Forms and Forces series, where she integrates local wildlife into the abstract world of her botanical garden. By incorporating recognizable elements, she offers viewers an entry point into her artistic vision. Each piece blends reality with abstraction—in this case, the hummingbird. She has also created one featuring a cardinal and has plans for a rabbit. Seeing familiar subjects helps viewers feel more at ease with original art and abstraction. When they recognize something, their minds engage, allowing them to fully appreciate the artistic concept of an abstract botanical world.

Connect at BarbaraRogers3774@gmail.com or visit BarbaraRogersArt.com.

TUCSON EDITION

Publisher Holly Baker

Contributing Writer Suzie Agrillo

Editor Erin Lehn

Design & Production Helene Leininger

Erica Mills

Sales & Marketing Holly Baker

Circulation Carolyn Coogan

Website Erica Mills

Social Media Carolyn Coogan

Cover Barbara Rogers

CONTACT US

Tucson Office

Tel: 520-760-2378

Holly@NaturalTucson.com

NaturalTucson.com

Franchise Sales 239-530-1377

NATIONAL TEAM

CEO Kimberly B. Whittle

COO Michael Bevilacqua

CMO Vee Banionis

Sr. VP Operations Brian Stenzler, DC

National Editor Sandra Yeyati

Editor Brooke Goode

Copy Editor Melanie Rankin

Print Production Specialist Kevin Rankin

Design Director Agnes Mazeikaite

Production Flip180

Customer Service Dani Bucad

CONTACT US

Natural Awakenings Publishing Corporation

350 Main Street, Suite 9B Bedminster, NJ 07921 Ph: 239-206-2000

NaturalAwakenings@KnoWEwell.com

© 2025 by Natural Awakenings. All rights reserved. Although some parts of this publication may be reproduced and reprinted, we require that prior permission be obtained in writing. Natural Awakenings is a free publication distributed locally and is supported by our advertisers. Please call to find a location near you or if you would like copies placed at your business. We do not necessarily endorse the views expressed in the articles and advertisements, nor are we responsible for the products and services advertised. Check with a healthcare professional regarding the appropriate use of any treatment.

Spring is Here—Time to Bloom!

Spring has officially arrived! And nothing welcomes the season quite like our annual Natural Awakenings Directory Guide. Our 2025 Health & Wellness edition is your trusted resource for local products and services designed to support your vibrant, healthy lifestyle.

As always, this magazine is powered by the passion and dedication of so many—especially our incredible advertisers, who work tirelessly to make the world a better place. We encourage you to keep this guide close all year long and turn to our Natural Awakenings family whenever you need a product or service to enhance your well-being.

One article that truly spoke to me this month is Making Time to Marvel by Marlaina Donato (page 13). If you’re anything like me, life’s busy seasons can pull you away from life’s simplest, most profound joys—like pausing to admire the beauty of the world around you. Lately, I’ve been moving at full speed, oftentimes forgetting to savor the wonders of nature that are always available to us. This article was the gentle nudge I needed to slow down and embrace the magic of spring. As Donato so beautifully reminds us, “May we never be too busy, too old or too jaded to gather handfuls of overlooked miracles.”

Our Artist Spotlight (page 14) by Suzie Agrillo introduces the exceptionally talented Cindy Mohr, whose bold, colorful artwork is a true feast for the senses. And if you’re passionate about sustainability, Waste Not, Want Not sheds light on the power of a circular economy. Claire Potter, founder of One Circular World, reminds us that while recycling is important, reducing and reusing are even more impactful. Her words truly resonated: “We have had the ‘reduce, reuse, recycle’ mantra since the first Earth Day in 1970, yet our consumption-driven culture has focused mostly on the ‘recycle’ part. In circularity terms, the first two are far higher up the hierarchy of desirable actions.”

From the latest advances in clean energy to gut health breakthroughs and fresh ways to move your body, this Earth Day-inspired issue is packed with insights to inform, inspire and ignite positive change.

Wishing you a season filled with wonder, renewal and countless moments marveling at Mother Nature’s miracles.

With joy,

Styling & Photography by Jessica Korff Studios
Holly Baker

Flourish: Moving Beyond Surviving and Thriving to Creating Your Best Soul Life

Flourish: Moving Beyond Surviving and Thriving to Creating Your Best Soul Life by Ann Marie Hoff offers readers a comprehensive guide to unlocking and harnessing their intuitive abilities and inner power to create the life they truly desire. The book explores profound topics such as the shadow side, projection, oneness versus duality and belief systems—those ingrained in DNA, shaped by community, or

with personal aspirations.

The core purpose of Flourish is to provide readers with a blueprint for navigating psychic talents, aligning with their soul and living within the spiritual dimensions. “Ground yourself in the knowledge that this is not your first lifetime. A part of you is with God always,” assures Hoff. “When you get in touch with your creative spiritual energy and live in the present, life flourishes.”

Hoff explains her intention behind writing the book, stating, “This book is to teach the believers and people with neutral minds to connect with their power, not to convince the skeptics.”

Ann Marie Hoff is an intuitive medium, angel channel and animal communicator. She offers private sessions in person, by phone or via Zoom. In addition, she runs long-term Angel coaching programs, teaches in-person classes in Tucson, and offers online courses on topics such as animal communication, working with angels and guides, and teachings from Flourish. Hoff is also available for speaking engagements on manifesting the best soul life, happiness, anger and grief.

For more information or to purchase the book, visit AnnHoff.com or Amazon.com.

ANN MARIE HOFF
Ann Marie Hoff

Transform Your Story Through Apothecary Medicine Painting

Experience the alchemy of healing art with Rosie Mac and Valerie Kravette in a transformative painting journey taking place April 11 from 6 to 8:30 p.m. and April 12 and 13 from 9 a.m. to 4 p.m. at Saguaro Christian Church in Tucson. The workshop is designed to help participants turn challenges into profound remedies and uncover the potent medicine hidden within their personal stories.

Guided by these two Musea-certified Intentional Creativity teachers, trained personally by Shiloh Sophia McCloud, attendees will embark on a creative path of empowerment and self-discovery. Perfect for beginners and seasoned artists alike, this workshop invites participants to use their brush as a tool for transformation. “As you work intuitively through the layers of your stories, you’ll emerge with both a beautiful piece of art and a renewed connection to your inner wisdom,” says the pair.

Rosie Mac, a visionary artist and intuitive coach from Christchurch, New Zealand, is known for her heart-led approach and soulful guidance. With certifications in Neuro-Linguistic Programming, Intuitive Transformational Coaching and Rapid Results Coaching, Mac inspires others to leap into a world of limitless possibilities. Valerie Kravette, a multi-disciplinary artist and creativity coach, integrates her expertise to empower individuals in unlocking their creative potential. This workshop is valued at $475, with an investment of $400. Location: 8302 Broadway Blvd., Tucson. Space is limited. Reserve your spot by registering at The-Artist-At-Large.com/apothecary.

Valerie Kravette Rosie Mac
The Apothecary of Magical Possibilities by Rosie Mac
First Apothecary by Valerie Kravette

Federal Ban of Toxic Food Dye

In January, the U.S. Food and Drug Administration (FDA) banned the use of Red No. 3 in food and ingested drugs. The synthetic dye has been primarily used to produce a bright, cherry color in candy, cakes, cookies, frozen desserts and certain pharmaceuticals. The ruling was prompted by a 2022 petition by the Center for Science in the Public Interest, which demonstrated that the coloring agent caused cancer in male rats exposed to high levels. Manufacturers must stop using the dye in foods by January 2027 and in ingestible drugs by January 2028.

Rating the Level of Processing in Foods

While highly processed foods have been associated with an unhealthy diet, information about the degree of processing has been limited. GroceryDB, a comprehensive database of more than 50,000 food products sold by Walmart, Target and Whole Foods, is the first systematic attempt to quantify food processing.

With the help of a user-friendly interface called TrueFood (True Food.tech), GroceryDB enables consumers to view the level of processing for specific foods, based on a scoring system where 0.0 to 0.2 represents minimally processed items and 0.7 to 1.0 are considered ultra-processed.

The GroceryDB system uses artificial intelligence to examine each product’s ingredient complexity and interactions; presence and quantity of industrial additives; nutritional composition and density; processing methods and techniques; presence of artificial preservatives and enhancers; chemical modifications to the original ingredients; added sugars and their forms; industrial protein sources and modifications; and synthetic micronutrients and fortification.

Recovering From a Bad Night’s Sleep

Creatine is a compound made by the body that is found in the muscles and brain. People may take it in supplement form to help build muscle and lower injury risk. A small, controlled study published in the journal Scientific Reports evaluated the use of creatine to clear the mental fog that may result from a bad night’s sleep. Fifteen healthy young adults stayed in a laboratory for two nights, five days apart, during which they were kept awake all night.

One night, they received a single dose of creatine, and the other, they were given a placebo. Cognitive tests were conducted before they took the creatine or placebo, and at three other times during the night. The researchers found that a single, high dose of creatine partially reversed some of the cognitive impacts of sleep deprivation. Further research is needed to determine appropriate doses for maximum effect.

Andrea Piacquadio from Pexels/CanvaPro

ALGAE-BASED COOKING OIL

Algae are one of the fastest-growing organisms on Earth, and the body weight of many forms are comprised of 30 percent oil. When they are fed sugar, algae increase in size and oil content. Taking advantage of these characteristics, Amsterdam-based manufacturer Corbion is exploring ways to produce and market algae oil as a viable alternative for cooking. The company currently operates a plant in Brazil that ferments algae from the sap of chestnut trees to increase its oil content to 80 percent. The oil is then separated and refined for human consumption.

There are multiple advantages to algae cooking oil. It has 25 percent less saturated fat than olive oil; more heart-healthy, monounsaturated fat than other cooking oils; less polyunsaturated fat than seed oils; and a higher smoke point than many other oils. Switching to algae oils could have benefits for the environment, too, by conserving water and reducing fertilizer use. Until demand increases, however, algae oils remain a high-cost product.

74-YEAR-OLD ALBATROSS BECOMES MOM AGAIN

In 1956, researchers attached a tracking band to a 5-year-old Laysan albatross they named Wisdom that was living at the Midway Atoll, in the Pacific Ocean. Last November, this same bird laid her first egg in four years and became a mom again in late January, making her the oldest known wild bird in the world to lay and hatch an egg.

The U.S. Fish and Wildlife Service estimates that Wisdom has outlived at least three mates and fledged as many as 30 chicks in her lifetime. Albatross mate for life but will breed with new mates if a partner dies. The next oldest albatross at Midway is 45 years old.

JURASSIC PERIOD BIRDS

Archaeologists have discovered the fossil of a quail-sized bird that roamed the skies of southeastern China 150 million years ago, reports the journal Nature, leading archaeologists to estimate the origin of birds to be about 164 to 172 million years ago—much earlier than previously thought. This fossil has a short tail, an important aerodynamic feature that helped it fly better, much like modern-day birds. The only other such fossil from the Jurassic Period was a half-bird, half-reptile with a long tail that was found in Germany in 1862.

NATURAL SOLUTION FOR FOREVER CHEMICALS

Perfluoroalkyl and polyfluoroalkyl substances (PFAS) known as “forever chemicals” have been linked to a number of health issues. In April 2024, the U.S. Environmental Protection Agency labeled a specific PFAS known as perfluoroctane sulfonic acid (PFOS) and its salts and isomers as hazardous chemicals.

A recent study published in Science of the Total Environment reports that a bacterial strain known as Labrys portucalensis F11 consumed 96 percent of the PFOS to which it was exposed over a 194-day period at a contaminated industrial site in Portugal. Scientists hope to use F11 to remediate this form of PFAS from the environment.

John Klavitter, U. S. Fish and Wildlife Service
Wisdom with one of her chicks, March 2011
Artwork of Archaeopteryx (German: Urvogel)

Making Time To Marvel

Anyone headed for the woods after a challenging week or seeking the silent counsel of the constellations during grief knows the truth in Albert Einstein’s statement, “Look deep into nature, and then you will understand everything better.”

Many may remember seeing the ocean for the first time and feeling magnificently insignificant while standing before its breaking waves. From the microscopic realms of a drop of pond water to the geometric wonder of snow crystals or the quickly changing murals of clouds, Earth speaks to us if we pause long enough to pay attention.

It is easy to feel pressured into providing our children with the latest technology and common to rush through our schedules, never glancing out the window while zooming from point A to point B. Despite the best intentions, our species has lost the innate and sublime capacity to be awed by what is greater than ourselves.

We can find humility once more in a single blade of new grass, or soulful sustenance

by tuning our ear to April birdsong wafting in through an open window. We can help our children establish spiritual roots by introducing them to mighty oaks, vibrant wildflowers, dappled forest trails and quiet corners of the city park.

With our attention constantly interrupted by ubiquitous, trivial distractions, making time to dialogue with nature and the planet has become an urgent necessity, one that can seem unimportant until we realize how long it has been since we fully exhaled or noticed anything beautiful.

Each spring, the natural world goes about its own whirlwind business of building nests, birthing the next generation, pushing through hard soil and bursting into blossoms that will later become fruit. When was the last time we paused to respond to the real world? May we never be too busy, too old or too jaded to gather handfuls of overlooked miracles.

Marlaina Donato is an author, visionary painter and composer. Connect at WildflowersAndWoodSmoke.com.

Integrated Gravity-Flow Water S ource - encourages deeper cl eansing and release.

Cozy Environment and Infrared Therapy - provide gent le, calming support for a r elaxing, effective session.

Gentle, Easy Detox Protocols a nd Reflorastation Therapyfacilitate recovery and restore b alance.

Ozone Therapy and ABO Bl ood Typing - elevate your Self-care program.

Affordable Packages and Flexible Scheduling - help you t o achieve your health goals.

Art Goes Digital

Cindy Mohr is a sophisticated yet quirky visual artist, captivating us with her playful, colorful and innovative creations from her studio in Patagonia, Arizona. A savvy digital artist, Mohr is quick to credit her treasured iPad for the new creative paths she’s exploring. However, it’s her artistic vision—not her tools—that truly fuels her talent.

Beyond her prowess as a visual artist, Mohr has long been drawn to the world of music. From an early age, she studied a variety of musical instruments, and that passion never waned. Today, her musical expression is driven by the drums, which take center stage in her performances with her bandmates.

Mohr’s formal artistic credentials include a BFA from the Herron School of Art at Indiana University, awarded in 1989, and an MFA in printmaking from the Tyler School of Art at Temple University in 1992.

Her artwork often takes the form of personal narratives, saturated with bold colors and expressive gestures—each piece a vivid page from her irrepressible life. With a wildly free and bewitching style, Mohr effortlessly draws us into her world of art and music.

Q&A With Digital Artist Cindy Mohr

How would you describe yourself in 10 words or less?

Musician, artist, passionate, resilient, dedicated, motivated, humorous, serious, androgynous, female.

How did you get interested in art?

I always enjoyed art as a child. While growing up, my mother returned to college for an MA in art. She had a studio set up and I loved watching her paint. Also, I loved getting a “sick day” from school to join her at the art school.

What do you enjoy about working as a digital artist?

It’s so similar to printmaking (my major in college) in terms of layering abilities, flat color fills, and outlining. I adore that I can make multiple prints and varieties of an image. And I don’t need to purchase art supplies or store canvases, etc. Nor must I inhale toxic chemicals. I can work anywhere, anytime, quickly and with ease.

Where do the ideas for your art come from?

Some ideas come from my unconscious. Others are depictions of life’s daily activities. Some are memories. Some are expressions of emotions.

How does your art depict daily activity and what does this mean to you?

The act of making art is soothing to my soul. I wake up in the wee hours and think, what do I need to do today…or thinking about what happened yesterday; so, these scenes come to life in drawings. I’m able to process and release emotions, Cindy Mohr

Me and My Birds by Cindy Mohr
Drummer with Stars and Moons and Wake Up! by Cindy Mohr

and share with viewers what strikes me as interesting, funny and/or poignant. Sometimes the depictions are made up, attempting to, or subconsciously expressing feelings, such as the woman in a sinking boat.

I’m always pleased when the viewer creates their own interpretation, as the experiences and images are relatable. I also quite enjoy when they appreciate the humor often woven in, which usually happens unintentionally, due to the quirky style of drawing.

What colors are you drawn to?

I like bold colors. I’m not one for pastels. At age 10, purple was my favorite color. Now? I’d say brilliant red, the color of my parrot’s tail, and any shade of blue.

Who are your favorite artists?

I’ve been influenced by many. I loved perusing Edward Hopper and Van Gogh books as a child. In art school I was exposed to, and admired so many artists that I can’t begin to name them all. Gustave Klimt, Egon Schiele and Maxx Beckman are a few of the classics. Also, Andy Warhol and too many other contemporary artists to list.

Where can people buy your art?

ArtByCindyMohr.com.

What life experiences led you to become a musician?

I was lucky my parents promoted private

lessons, and that there was music in school. I learned piano, snare drum and cello at an early age. While in art school I played guitar. I yearned for a drum kit, which I procured with student loan money while in grad school, along with microphones and an effects unit. With a borrowed PA system, I set up a weekly open music jam. All were welcome, and it was strictly improv. It was deeply satisfying and exhilarating to play with others.

I was passionate about listening to music as well. My older sister studied and excelled at music. I would lay under the piano for hours while she practiced complicated pieces and always had a Walkman with earphones and an active stereo at home.

Life experience? There was tragedy at home, as my dad succumbed to his depression and took his life. My older brother and sister had already moved out. I was alone and lonely, and I especially found solace in music, both playing in the orchestra and listening to my stereo at home. Music has always been a necessity in my life.

When did you start performing as a drummer in a band?

I actually only began that within the past three years. After college I sold my kit and didn’t play much for a few decades. Fast forward seven years, a friend of mine and I started a local drum circle. Eventually I

Up Anger and Drumsticks for Paddles by Cindy

would bring more and more drums, strapping a tambourine cowbell and bongos to milk crates. I brought a borrowed snare and a tom drum.

One day I had a revelation. “I need a high hat with cymbals. Duh! I need a drum kit!” I procured one and quickly learned how to play real songs via YouTube. Within six months, I was playing in a band. Since then, I’ve played and performed with five bands, approximately 75 performances.

What is the last thing you do before you go onstage?

I’m usually very busy tending to last minute details. Visually I like the band to look good. I bring the lights, the rugs, the bling, and I scurry to get it all together! I do, however, arrive a good two hours early, so I can set up, then relax a few moments to clear my mind and to stretch my body.

Bottled
Mohr

What do you do when you’re not making art or music?

I make and sell leather goods on Etsy. I spend a lot of time caring for and being entertained by my pets: an African grey parrot, a dove and a Manx cat. I also tend to a home and property in a canyon in Patagonia.

What is the best book you’ve read?

A Confederacy of Dunces, by John Kennedy Toole, is the first one that comes to mind.

What piece of advice have you been given that guides you?

My friend Paula Wittner, an accomplished painter, once said to me, [why not] “Reach for the stars.” This has changed everything for me. I’m able to identify what I ideally want to happen in any given situation,

without doubts or worries about how, and I strive toward the ideal.

Taking care of your parents in their old age is a privilege not everyone gets to experience. What can you share about caring for your mom? She had Parkinson’s disease, and I took care of her for 13 years. It was precious to spend time as an adult with my mom, and an honor to care for her. I certainly have zero regrets. I will say that I was focused on her needs and didn’t pursue much for myself. Now I’m making up for that.

Is there anything else that you’d like our readers to know?

Yes. I consider myself a “late bloomer.” I was so proud when I turned 60, since I definitely have a new perspective on life. It’s precious

and goes by quickly. Don’t sweat the small stuff. Don’t worry about what others think. Don’t judge others. Listen to your instinct and do the right thing when presented with a dilemma. Follow your passions. Be brave, have confidence. Keep on keepin’ on.

I’d love to hang an art show at your place of business. Please contact me via my website. Thank you!

Connect with Cindy at CMohr.pbl69 @yahoo.com or ArtByCindyMohr.com.

Suzie Agrillo is a freelance writer in Tucson, and a frequent contributor to Natural Awakenings magazine. She focuses on writing about the arts, inspirational people, and the human connection. Connect at SuzieInTheOldPueblo@gmail.com.

Can I Get a Snuggle; Art Show This Way; Political Despair; by Cindy Mohr

Into a Business Turn Your Passion

Own Your Own Natural Awakenings Magazine!

Make a meaningful impact in your community by becoming the owner of a Natural Awakenings magazine. Empower others with current, valuable insights and resources to enhance their physical, mental, emotional and spiritual well-being.

As a franchise owner, you’ll inspire positive change, provide readers with tools for healthier living and connect local businesses with an audience eager for transformation.

Why Own a Natural Awakenings Magazine?

n Create a Healthier Community: Be the go-to resource for wellness and personal growth in your area.

n Boost Your Income: Take control of your financial future with a proven business model.

n Enjoy a Flexible Lifestyle: Work from home while pursuing a fulfilling, dynamic career.

What We Offer:

n A proven business model with low startup costs.

n Comprehensive training and friendly, ongoing support.

n Flexible work schedule with many work-from-home opportunities.

n Access to a network of like-minded franchise owners.

n Financing Options Available.

Join a thriving network of passionate franchise owners reshaping the future of holistic health and wellness.

Call 239-206-2000 for a FREE evaluation of your community’s potential. Learn more or apply today at: Corp.NaturalAwakenings.com

Add Your Community to Where Natural Awakenings Is Now Publishing:

• Atlanta, GA

• Boston, MA

• Broward County, FL

• Bucks/Montgomery Counties, PA

• Central Florida/Greater Orlando, FL

• Central New Jersey

• Charlotte, NC

• Chicago, IL

• Columbia, SC

• Dallas, TX

• Daytona/Volusia/Flagler Counties, FL

• Detroit/Wayne County, MI

• Fairfield & Southern Litchfield Counties, CT

• Gainesville/Ocala/The Villages, FL

• Grand Traverse Region/Northern Michigan

• Greater Ann Arbor, MI

• Greater Lansing, MI

• Greater Oakland, Macomb, Livingston, Genesee, MI

• Gulf Coast, Alabama/Mississippi

• Hartford/Tolland, CT - Coming soon

• Houston, TX

• Hudson County, NJ

• Jacksonville/St. Augustine, FL

• Lancaster/Berks, PA

• Lehigh Valley, PA

• Long Island, NY

• Milwaukee, WI

• Monmouth/Ocean Counties, NJ

• Naples/Fort Myers, FL

• New Haven, CT

• New London/Windham, CT - Coming soon

• New York City, NY

• North Central New Jersey

• North New Jersey

• Northwest Florida

• Palm Beach, FL

• Philadelphia, PA

• Phoenix, AZ

• Pittsburgh, PA

• Rhode Island

• Richmond, VA

• Sarasota, Manatee, Charlotte and DeSoto Counties, FL

• South Central Pennsylvania

• South Jersey, NJ

• Southeast North Carolina

• Space & Treasure Coast, FL

• Tampa, FL

• Tucson, AZ

• Twin Cities, MN

• Westchester/Putnam/Dutchess, NY

• Western Michigan

DREAM TEAM PROFILES

The following practitioners and businesses are ready to help you achieve your health and wellness goals in 2025.

Blissfully Be Holistic Wellness

SHAWNA ROBERTS, NBC-HWC, LMT, RYT-200 421 N Schrader Ln, 85748

520-216-5699

Shawna@BlissfullyBe.com

BlissfullyBe.com

Summary, services offered: Blissfully Be is a one-stopshop. I offer one-on-one health coaching, therapeutic massage, energy work (reiki), and private yoga instruction and group yoga classes and workshops.

What drew you to this profession?

My personal health struggles led me to feel disillusioned by the limited answers and treatments the conventional medical system could offer. I knew there had to be a better way, so I began seeking alternative solutions that could provide true healing.

How does your work differ from others in your profession?

I believe in working with the whole person—mind, body and spirit. My varied training, experience and offerings allow clients to work with me in a variety of capacities. But no matter what brings someone in, I bring my full skillset and can support them wherever they are.

What should someone expect from working with you?

Expect it to take time. Expect lots of questions. Expect to be challenged. And expect homework, even if you just are coming in for a massage.

What changes do you plan for 2025?

I am putting more of a focus on the health coaching portion of my business, specifically in-person workshops and online courses on whole food nutrition and healthy eating habits. I’m currently taking an additional 300-hour yoga teacher training program that will finish in October.

What is most important for Natural Awakenings’ readers to know?

Health is a basic human right. But in today’s culture of instant gratification, convenience and processed franken-foods, 15-minute doctor’s appointments and Big Pharma, the cards are stacked against you. Only through conscious, concerted efforts can we begin to make the changes necessary to get back to homeostasis.

Catalina Acupuncture

NATHAN ANDERSON, LAC

3208 E Fort Lowell Rd, Ste 106, 85716

520-999-0080

Nathan@CatalinaAcupunctureTucson.com

CatalinaAcupunctureTucson.com

Summary, services offered:

I utilize acupuncture, herbal medicine, and manual therapy to treat pain, injury and illness.

What drew you to this profession?

I had a nagging sports injury that wasn’t improving with conventional orthopedic medicine. Acupuncture resolved the issue in one session. This was an eyeopening experience that inspired me to learn Chinese medicine.

How does your work differ from others in your profession? I am on the faculty at the local acupuncture college, training future generations of acupuncturists.

What should someone expect from working with you?

I let my new patients know they should start to feel better within 1 to 5 treatments, including reduced pain, improved range of motion, or other reductions in symptom severity.

What changes do you plan in 2025?

I’ve recently relocated to my new office on East Fort Lowell Road. It’s a clean, comfortable and peaceful setting.

What is most important for Natural Awakenings’ readers to know? I am in-network with many insurance plans, reducing out-ofpocket expenses for my patients. See ad, page 16.

Bryant Dietrick

6522 E Carondelet Dr, Bldg C, Ste B, 85710

520-449-7581

Bradeazy@gmail.com

Summary, services offered: Deep tissue (trigger point therapy, myofascial release) ashiatsu, barefoot shiatsu and prenatal.

What drew you to this profession? I received body work and chiropractic as a young child after a trampoline accident. I was very interested in the changes in my body and knew I wanted to become some sort of bodyworker. I definitely would not be as mobile as I am today without it.

How does your work differ from others in your profession?  I look at the body holistically and work to try to correct postural deviations through deep tissue techniques such as trigger point therapy and myofascial release. My attention to detail may be the one thing that sets me apart from others. No stone goes unturned so to speak. My clients can expect to be listened to and hopefully have their individual care needs met.

What should someone expect from working with you? My work is very tailored to specific needs clients may have. I pay specific attention to certain details in the body that cause pain and discomfort throughout the day.

What changes do you have planned for 2025?

Focus more on prenatal massage. Prenatal massages are adapted for the anatomical changes you go through during pregnancy. Prenatal massage helps alleviate sciatic pain due to postural changes in the body when pregnant. It reduces stress, eases muscle aches and joint pains, improves mood and sleep, and potentially improves labor outcomes and newborn health.

What is most important for Natural Awakenings’ readers to know? It’s important to receive bodywork and care for the body before it becomes painful and your posture starts to deviate from the norm. See ad, page 10.

There is no such thing as “away”. When we throw anything away it must go somewhere.
—Annie Leonard

Double Vajra Somatic Arts

LESLIE MCCORMICK, MA, LPC, R-DMT

469 S Convent Ave, #1, 85701 520-243-0200

Leslie@TucsonSomaticPsychotherapy.com

Summary, services offered: I offer groups, workshops and oneon-one experiential psychotherapy that addresses the roots of developmental wounds—going beyond what traditional talk therapy alone can reach. I provide tailored support for human transformation, all along the continuum of development — from healing trauma to embodied spirituality. My work – rooted in neuroscience, creativity and mindfulness—integrates my training as an LPC, somatic psychotherapist, dance/movement therapist, poet and ordained Buddhist.

What drew you to this profession?

As a writer and dancer in college, I yearned to spend my life creating; I also loved connecting with and serving others. I was more interested in collaboration than competition, authenticity versus performance. When I discovered dance/movement therapy, that was it!

How does your work differ from others in your profession?

It’s a joy to me when my clients feel better, complete a big piece of work, or experience “felt shifts”—palpable, present moment signs of significant learning or change. Sometimes, powerful shifts occur through connection that couldn’t have been predicted or engineered: that’s a particular joy!

What should someone expect from working with you?

My approach is rooted in authenticity, genuine care and cutting-edge modalities, with deep respect for each client’s selfknowledge and inner healing process. I’m an expert in these healing practices, but my clients are the experts on themselves. If you’re unsure of what you want, I can help you discover it.

What changes do you have planned for 2025?

This year, I’m expanding my offerings to include more workshops, classes and groups, such as a regular Authentic Movement practice group, the return of “Moving Your Metamorphosis”—a creative life transitions workshop—and “Connections,” a somatic IFS group.

What is most important for Natural Awakenings’ readers to know?

With 20 years of experience, ongoing training and depth-level personal practice, I offer “tried-and-true,” heartfelt care that’s both professional and genuine. My goal is to connect with those who will benefit most from what I offer.

It’s Time For Moxie

DEB BEROSET

312-436-2160

Deb@ItsTimeForMoxie.com

ItsTimeForMoxie.com

Summary, services offered: Moxie helps women reclaim their boldness, creativity and power through coaching, retreats, and transformative programs. With a background in creativity, innovation, artistic rituals and woman-centered coaching, I guide women to step into their fullest expression with confidence and joy.

What drew you to this profession?

I’ve always been fascinated by what makes us come alive. Years in creative industries and transformational work showed me the magic of women embracing their true selves. My training in woman-centered coaching and neuroscience-based coaching deepened my ability to guide this process.

How does your work differ from others in your profession?

I combine coaching, storytelling, mysticism and creativity—helping women not just shift their mindset but embody their transformation. I weave in artistic rituals and modern tribe-building, making the journey deeply personal, soulful and (yes) a little bit magical.

What should someone expect from working with you?

A mix of soulful inquiry, creative exploration and real-world action. My approach is both practical and mystical—integrating woman-centered coaching, artistic rituals and deep personal visioning to create lasting change. Expect transformation. Expect breakthroughs. Expect beauty.

What changes do you plan for 2025?

Club Moxie is shifting to a closed-door model, creating an even more intimate, powerful space. Retreats will deepen in artistic and mystical elements, and I’m bringing my creativity and woman-centered coaching training into exciting new offerings—including my upcoming book.

What is most important for Natural Awakenings’ readers to know? Your desires, creative expression and deep inner knowing matter. My work is about helping you claim the life that’s waiting for you—through coaching, retreats and a community of kindred spirits. Because life is short. Be bold. Be radiant. Be bodacious. See ad, page 15.

Neptune Up

KERRY LANE, OWNER, COLON HYDROTHERAPIST

2545 E Broadway Blvd, 85716

520-257-0563

Hi@NeptuneUp.com

What drew you to this profession?

Summary/services offered:

Neptune Up offers gravity based colon hydrotherapy with enhancements including soothing crystal mats, purified water filtration systems, air purification and ionizer machines, organic buckwheat pillows and optional rose quartz eye masks.

Neptune Up offers the only 100 percent gravity-based colon hydrotherapy service in Tucson—no machines, electricity or plastic waste. This custom designed system is the original method of colon cleansing and is the most gentle and effective for clearing the body of stagnant waste. Removing this toxicity improves blood flow, lymphatic drainage and gut wellness.

How does your work differ from others in your profession?

Colon hygiene is my passion! My commitment to the art of gravity-based colon hydrotherapy is infused with my extensive background in the spa and hospitality industries. I strive to create a welcoming atmosphere while providing high quality service, adjusting to your individual wellness goals. Relax knowing your needs are valued and privacy respected. Feel at ease to release, lighten up and let go!

What changes do you plan in 2025?

Neptune Up’s focus for 2025 is all about the individual client, meeting them where they’re at and offering sound guidance toward achieving their gut wellness goals. Gut wellness consultations are offered, in addition to colon hydrotherapy, for clients seeking adjustments to their diet and lifestyle habits.

What is most important for Natural Awakenings’ readers to know?

In today’s modern world, most people are carrying around accumulated toxic residue from decades of living in an environment of pollution, pesticides, processed foods and stress. Our bodies were not designed to remove this much waste on their own. Colon hydrotherapy assists the body in clearing out this waste, freeing up blocked energy and allowing the body to function with more ease and lightness!

Pampered Skin and Soul Studio

SUZANNE PEAR, RN PHD, LE COE CQH

5160 E Glenn St, Ste 150, 85712

Inside Pima Osteopathic Associates offices 520-400-8109

Info@PameredSkinAndSoul.com

PamperedSkinAndSoul.com

Summary/services offered:

Suzanne Pear is the sole/soul practitioner at Pampered Skin and Soul Studio, specializing in Holistic Basic and Advanced Skin Care for all skin types and conditions.  “Dr. Suzie” is a registered nurse with a Doctorate in Epidemiology (PhD), a licensed esthetician, and holds certifications in ethnic skin care and skin care for clients with health challenges. Services include facials, peels, basic and advanced microneedling with PRF, natural plasma fillers, as well as commercial fillers and Botox. She is also a Certified Quantum Energy Practitioner with the ability to balance energy fields and clear past lives issues.

What drew you to this profession?

As a nurse, caring about and helping people feel good has always been my goal. We know when we look better, it helps us to feel better.

How does your work differ from others in your profession?

My concern is always for the entire person, not just the client’s skin and face issues. The skin is the largest organ in the body and it reflects what is happening internally, emotionally, mentally and spiritually.  I work to normalize, balance and enhance my client in those areas as much as I am allowed and able to.

What should someone expect from working with you?

Complete satisfaction is what I strive for with every client interaction.

What changes do you plan in 2025?

So far in 2025, I have introduced two new facial treatments, including a new “Boost and Balance Power Facial” and a “Brighten and Balance Double Deluxe Peel.”  In April, I will be adding a “microchanneling” facial treatment which provides many of the benefits of microneedling without the downtime or discomfort.

What is most important for Natural Awakenings’ readers to know?

I stand by my work and will do what is in my power to ensure the safety, well-being and satisfaction of all my clients. See ad, page 23.

Shea Dental

DR. JOSHUA RAIFFE, DMD, AIAOMT

11111 N. Scottsdale Rd, Ste 120, Scottsdale, 85254

480-998-3923 • SheaDentalAZ.com

FrontOffice@SheaDentalAZ.com

Summary, services offered:

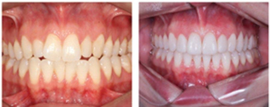
At Shea Dental, we’re passionate about our unique, whole-body approach to dentistry. We believe that with a better understanding of how your smile connects to your heart’s health, emotional well-being, and overall quality of life, we can give our patients the power to thrive. We invite you to learn more about how our collaborative, intentional approach to care makes us stand out from other dentists below. If you feel inspired to schedule an appointment with us, we’ll be happy to welcome you into our dental family!

We specialize in safe amalgam removals, onlays, crowns and implants, snore guards and nightguards, just to name a few.

What drew you to this profession?

Dr. Raiffe was drawn to dentistry due to his passion for improving patient well-being, combining his interest in science with the desire to make a meaningful impact on people’s lives through holistic care. Being a second-generation dentist, Dr. Raiffe knew what he wanted to do at a very young age.

How does your work differ from others in your profession?

Dr. Raiffe’s approach is rooted in holistic dentistry and being able to offer natural therapeutic services such as ozone therapy, and safe amalgam filling removal separates us from other traditional dentists—especially with his emphasis on long-term health and patient-centered care.

What should someone expect from working with you?

Patients can expect personalized, compassionate care focused on their health and comfort. Dr. Raiffe uses the latest techniques and technologies to provide holistic dental solutions, ensuring every visit addresses both immediate needs and long-term wellness.

What changes do you plan for 2025?

In 2025, Dr. Raiffe plans to expand his practice’s holistic services with a pediatric division, as well as an airway program specific to Shea Dental, and further integrate innovative technologies to enhance patient care. He is also committed to educating the community on the benefits of holistic dentistry.

What is most important for Natural Awakenings’ readers to know?

Natural Awakenings’ readers should know that holistic dentistry offers a comprehensive, patient-focused approach that not only addresses dental issues but also promotes overall health and wellness, aligning with a more natural and sustainable lifestyle. See ad, page 3.

Replevyn

RAIN (DANIELLE) DVORAK

847-323-9188

Danielle@Replevyn.com Replevyn.com

Summary, services offered:

Danielle (Rain) Dvorak primarily offers medical intuitive readings, chakra and biofield readings, Tibetan sound healing in both group settings and individual sessions, and reiki trainings. Additionally, she is a faculty member of the Andrew Weil Center for Integrative Medicine.

What drew you to this profession?

As a more-than-average intuitive person and classically-trained musician, “graduating” into utilizing energy work and sound as healing tools came naturally. With decades of development and experience in these modalities, and seven decades of life experience, Rain is doing what she loves and loving what she’s doing.

How does your work differ from others in your profession?

Danielle (Rain) Dvorak is trained and certified as a Medical Intuitive (CMIP) through The Practical Path in Tujunga, CA. She is also trained and certified in Tibetan Sound Healing through The Tibetan Bowl School in Encinitas, CA.

What should someone expect from working with you?

Expect miracles!!! Which are truly possible! We are self-limiting and by placing expectations on ourselves and attaching to outcomes, we often limit what might occur when working with energy/sound. My work usually helps people feel safe and relaxed at minimum.

What changes do you plan in 2025?

Life is working well and I’m not planning any changes in 2025. I’m semi-retired and enjoying life more than ever before.

What is most important for Natural Awakenings’ readers to know?

I am here in service to the human race and the planet. My mission is to help people learn to self-regulate (their nervous systems) and expand or raise their consciousness. If I can help someone become a better person and/or connect with their divinity, then we are successful together. See ad, page 9.

Lisa Smith, PhD, EMRS

520-248-0461

Info@EMF-Wellness.com EMF-Wellness.com

Summary/services offered:

To protect and support your family’s health, EMF Wellness Tucson provides professional assessments and mitigation recomendations for radio frequency radiation and three other common types of electromagnetic fields (EMFs): electric fields, magnetic fields and dirty electricity.

What drew you to this profession?

A few years back, two close family members became inexplicably sick with no cure in sight—even after visiting numerous conventional and alternative health practitioners. One (a child) recovered a few months after we identified and removed the cause: sitting next to a Wi-Fi router while using an iPad several hours a day. Unfortunately, the other (an elderly person) died after much suffering before we figured out what the problem was: living in a small home surrounded by wireless devices constantly emitting highly toxic radiation. These personal experiences motivated me to learn more about EMF science, get advanced professional training at the Building Biology Institute, and start EMF Wellness Tucson.

How does your work differ from others in your profession?

I conduct assessments using the most advanced, state-of-the-art professional meters and strive to provide mitigation recommendations that meet you where you are regarding your use of modern technologies. I am particularly devoted to keeping children’s learning, play and sleep areas EMF safe—and I consider your pets to be important members of the family too!

What should someone expect from working with you?

You should expect me to educate you about EMFs, give you the best of my professional skills to uncover any unsafe EMFs, and lay out your options for mitigation at the least possible cost to you. I give you tips and tools to maintain a safe environment on your own so you don’t need me anymore.

*Boost and Balance Power Facial**

Restore your skin’s radiance the brightening power of Lemon Zest Enzyme and hydrating Lactic Acid.Wet Microdermabrasion and Microcurrent Toning Treatment included, leaving you with a refreshed and revitalized complexion.

What is most important for Natural Awakenings’ readers to know? It is very important to understand what EMFs are and ensure that you’re living and working environments—and the learning environments of our children and youth—are EMF safe. See ad, page 11. -

**Brighten and Balance Double Deluxe Peel**

Experience the transformative benefits of a medical-grade peel without the downtime, This multi-step treatment targets hyperpigmentation, refines pores, and minimizes fine lines, revealing a smoother, brighter complexion. $150 each

***Standard and Advanced Microneedling with PRF Treatments $350 and $550

Eliminate those pesky fine lines, minimize scars and large pores, repair collagen loss and erase sunspots.Neck and Decolletage included. Cool Peel and Home Care Kit provided.

Book your appointment today! Get a jump on your spring skincare goals! 520-400-8109

Juvederm Fillers $100-$150 off or 10 units Botox FREE

Suzanne Pear RN PhD LE QEH Info@pamperedskinandsoul.com www.PamperedSkinandSoul.com

Transformational Medicine

2028 E Prince Rd, 85719 • 520-209-1755 • TFMND.co

Summary/services offered:

I’ve been dedicated to providing transformative care for over 15 years. My main focus is on thyroid health and endocrinology, addressing issues like adrenal and hormone imbalances, as well as gut health. I also specialize in pain management using advanced ozone therapies, such as joint injections, which can repair tendon and ligament injuries and even help patients avoid surgery.

When we named our practice Transformational Medicine, it was with the intention of offering life-changing care—and I truly believe we achieve that. By listening to our patients and guiding them through transformative journeys, we help them optimize their hormones, repair their liver, improve sleep and energy, achieve healthier skin, maintain a proportional weight, and ultimately lead a pain-free life.

What drew you to this profession?

My journey into alternative medicine began while I was working in the former Soviet Union, leading tour groups. I was fascinated by the medical spas where people could take time off to receive water therapies, acupuncture, massage and various treatments as part of their vacation. This holistic approach inspired me, though replicating it here in the U.S. comes with challenges like liability and infrastructure.

How does your work differ from others in your profession?

What sets my practice apart is my diverse background in functional medicine, massage therapy and shamanic practices. This allows me to assess my patients holistically—mind, body and spirit. With our functional medicine training, we conduct in-depth analyses of test results to uncover underlying health issues.

What should someone expect from working with you?

New patients can expect a two-hour comprehensive visit, which includes a detailed history, a thorough examination, and an extensive set of lab and hormone tests. We partner with trusted testing groups like Dutch, Vibrant America and Doctor’s Data to ensure precision and quality.

What changes do you have planned for 2025?

As for 2025, we’re excited to introduce two innovative machines: EmSella and EmSculpt. These technologies provide transformative body changes, such as pelvic floor strengthening and muscle building without intense workouts. They’re especially valuable for our older patients, most of whom are over 50, to enhance core and overall strength. Additionally, we’ve launched two new programs: a three-month metabolic reset with hands-on weekly support and the year-long TFM Longevity Program for sustained wellness.

What is most important for Natural Awakenings’ readers to know?

The most important thing for Natural Awakenings readers to know is that we are here, inclusive and responsive. We pride ourselves on supporting our patients’ needs and making their wellness journey a priority by responding to inquiries within 24 hours—something we know is uncommon in many other practices. See ad, page 35.

Transformational Medicine

DR. EMILY TAKEUCHI MILLER

2028 E Prince Rd, 85719 • TFMND.co

Summary/services offered:

I provide comprehensive, individualized care for people of all ages, including pediatrics. My services include clinical nutrition, botanical medicine, homeopathy, biofeedback, IV therapy and ozone therapy. My main focuses are gut health, metabolic health, hormonal balance and the management of chronic infections.

What drew you to this profession?

I consider myself fortunate to have been raised with a natural approach to health, and I have my mom to thank for that. For me, naturopathic medicine has always felt like simply  medicine. However, as I progressed through my education, I quickly realized that this perspective was uncommon. Hearing countless stories of people struggling with their health and facing symptoms without clear answers deeply resonated with me. These experiences fueled my passion for naturopathic medicine. I wanted to help people uncover the root causes of their health issues and show them that real, lasting healing is not only possible but achievable.

How does your work differ from others in your profession? My belief is that healing is a collaborative process. I take the time to listen to my patients and understand their unique health stories because I believe healing is not one-size-fitsall. By empowering my patients with knowledge and tools to take control of their health, my goal is not just to treat illness but to help them thrive and live to their fullest potential.

What should someone expect from working with you?

I truly believe that medicine is a partnership. You will be heard, validated and supported as we uncover the root cause of your discomfort. Expect a comprehensive, integrative experience that combines cutting-edge testing with natural therapies, all aimed at supporting your body’s innate ability to heal.

What changes do you have planned for 2025?

In 2025, we are expanding our services with a comprehensive Longevity Program designed to support individuals through the aging process. This program will focus on hormonal balance, gut health, detoxification and brain optimization.

What is most important for Natural Awakenings’ readers to know?

You don’t have to accept feeling tired, imbalanced or unlike yourself. There are answers. We are here to help you reclaim your health and feel vibrant at any age. See ad, page 35.

Health & Wellness BUSINESS SPOTLIGHTS

Premiere Social Media Transforms Businesses with Digital Marketing

Shyla Collier, TMthe visionary behind Premiere Social Media, is proud to announce the continued growth of her company, providing businesses with top-tier digital marketing solutions for over a decade. With 18 years of experience in marketing, Collier has helped countless businesses enhance their online presence, increase engagement, and drive sales through strategic online marketing. She is also an Amazon Best-Selling Author, sharing her knowledge and insights to help others succeed.

Premiere Social Media offers all forms of digital marketing services nationwide, specializing in social media management and training, content creation, website and graphic design, SEO and more. The company also owns women’s networking groups throughout the valley, fostering collaboration and growth among female entrepreneurs. To keep businesses ahead in the fast-paced digital world, Premiere Social Media expanded its services to include TikTok marketing, leveraging the platform’s vast reach and engagement potential.

Marketing is crucial for any business seeking growth and longterm success in a competitive market. By leveraging platforms such as Facebook, Instagram, Pinterest, LinkedIn, YouTube and TikTok, Premiere Social Media provides expert training and fullservice digital marketing solutions, allowing businesses to either learn effective strategies or have the work done for them. Collier’s passion for empowering businesses shines through her commitment to delivering tailored strategies for each client based on their specific business needs.

Connect at 480-525-6275, Info@PremiereSocialMedia.com or PremiereSocialMedia.com.

Discover Wellness in Nature’s Embrace with Bird’s Eye Wisdom

Bird’s Eye Wisdom offers a unique fusion of mind, body and wilderness wellness services designed to promote healing and inner balance. Specializing in Craniosacral Therapy, guided meditation, hiking and backpacking experiences, and the newly launched Wilderness Wellness Coaching, the company provides personalized support for individuals and small groups.

“Wellness is intrinsic and inherent in each of us,” says owner Carrie Rucker, PT, DPT. “Craniosacral Therapy and nature offer experiences that remind us of that and guide us back to the source of wisdom, strength, and power within.”

Every offering at Bird’s Eye Wisdom is rooted in helping clients reconnect with their personal power. The services blend Craniosacral Therapy, physical training, mental preparation and outdoor skills to create a holistic path to wellness.

Customized Wilderness and Wellness Experiences cater to individual goals, whether improving fitness, reducing stress, deepening meditation or developing hiking and backpacking skills.

Rucker is especially excited to introduce the 12-week Wilderness and Wellness Coaching program this year. “This program integrates physical training (body), meditation training (mind), and a custom guided hiking or backpacking experience (nature),” she explains. “Wellness is within. That is the heart of what we offer, and nothing reflects that back quite like being in nature.”

Connect at 404-984-4256, Info@BirdsEyeWisdom.com or BirdsEyeWisdom.com. Location: Tensegrity Physical Therapy & Wellness, 5501 N Oracle Rd, Ste 101, Tucson.

Shyla Collier Carrie Rucker

Go with the Flow: Holistic Infusion and Colon Hydrotherapy in Tucson

Very Special Alternatives, established in 1993, provides RN services for Tucson’s holistic and alternative medicine community. Vonnie Schultz Albrecht, RN, specializes in infusion services, ozone therapies and colon hydrotherapy. With 45 years in healthcare, her eclectic experience ensures a special touch to support and care for her clients and patients, most often in conjunction with other practitioners or providers.

Appointments are relaxed with plenty of time to assess client progress, answer questions or address concerns. Client-centered care is individualized and focused on supporting healthy digestive function through simple additions and changes. Reflorastation, developed by Dr. Victoria Bowmann, is also available.

Albrecht has developed her gentle, “Slow Flow” method for colonic irrigation using gravitydelivered water to exercise the colon’s natural function and cleanse the buildup of waste. “The importance of gut and microbiome health is well-recognized, and colonics are regaining popularity as a safe, simple and effective therapy,” she says. “Provide your body with a foundation for effective detoxification, improved immune function and health rejuvenation. Go with the flow...the road to health is paved with good intestines.”

Mention this article for a complimentary Reflorastation with the purchase of a colonic or colonic package.

Very Special Alternatives is located at 2028 E. Prince Rd, Rm 9, in Tucson. For more information, call 520-403-1686, email Nurse@VerySpecialAlternatives.net or visit heal.me/ vonnie-schultz-albrecht-rn. See ad, page 13.

Join the Movement Toward Holistic Health and Healing

EarthSongs Holistic Consulting Research Division, led by Dr. Melinda Connor, and Green Mountain Health Care DBA Expand Health Research, are coming together to bring cutting-edge research and holistic health advancements to the forefront.

Dr. Melinda Connor will continue to offer expert consulting services and teach energy skills classes, lectures and seminars, while Dr. Caitlin Connor is expanding Green Mountain Health Care’s research offerings. Their focus now includes studies on holistic health, wellness, supplements, alternative health devices, and energy technique analysis.

“If you’re passionate about contributing to a healthier future, we invite you to participate in studies that match your unique health needs. This is your chance to help make a difference in the health of our nation,” affirm Melinda and Caitlin. “We’re launching new research studies and would love for you to be a part of them! Call us today and take action toward supporting a healthier, more vibrant environment.”

In these uncertain times, taking action to create health and healing is a powerful statement. Join Dr. Melinda Connor and Dr. Caitlin Connor today in moving toward a brighter, healthier tomorrow.

For more information or to get involved, call 520-609-1766 or email ExpandHealthResearch@ earthlink.net. See ad, page 33.

Breathe Easy with PurMaid’s Non-toxic Cleaning Services

PurMaid provides top-tier eco-friendly cleaning services of all kinds to the Tucson community. The cornerstone of the company is delivering a superior, professional cleaning service that delivers a truly pure clean of the indoor space, creating a healing and peaceful state of mind.

Outsourcing housework offers many benefits, but opting for a green cleaning service goes a step further by creating a healthier home and a more sustainable planet. Green cleaning involves using non-toxic, organic products and eco-friendly methods that reduce exposure to harmful chemicals.

Non-toxic cleaning products make sense because they reduce exposure to harmful chemicals, making them safer for both human health and the environment. Traditional cleaners often contain harsh ingredients that can cause respiratory issues, skin irritation and long-term health effects, while nontoxic alternatives use natural or biodegradable ingredients that are gentler yet effective. Additionally, they minimize indoor air pollution and prevent toxic residues from contaminating water sources, protecting ecosystems and wildlife. By choosing nontoxic cleaners, individuals can maintain a clean home without compromising their well-being or the planet’s health.

Green cleaning products can perform just as well or even better than traditional cleaning products. With a trained professional that knows sustainable and eco-friendly practices, enjoy a clean house without the harmful residues and air pollutants.

PurMaid offers fast and easy scheduling, no contracts, and provides all necessary supplies. All of the benefits of a superior green maid service is within reach—at an affordable price.

For more information and a free estimate, call 520-331-2629, email PurMaidTucson@ gmail.com or visit PurMaidTucson.com. See ad, page 39.

Vonnie
Dr. Caitlin Connor

Linda Johns: Guiding the Path to Healing and Awareness

For over 30 years, Linda Johns, founder of Journey to Healing–A Bridge to Awareness and Truth, has dedicated her life to facilitating deep transformation. Using her natural psychic and intuitive abilities, clairvoyant insights and profound compassion, she has conducted over 15,000 individual healing sessions for both people and animals. Her work has been featured in numerous magazines, newspapers, television and radio.

A gifted teacher, Johns creates a safe, non-judgmental space where students can explore and embrace their innate abilities. She offers Zoom classes, monthly workshops and weekly series on animal communication, intuitive development, 5D living in the heart, personal growth, energy wisdom and healing.

With extensive training in shamanic healing, spiritual studies and the healing arts, Johns has achieved Master Studies at the Inner Wisdom Mystery School. She holds certifications from esteemed institutions, including the Quantum Healing Center, the Institute of Health and Healing, the International Breath Institute, and the Wildfire Holistic Animal Healing Center. Her expertise spans a variety of healing modalities, including PSYCH-K, Emotional Freedom Technique (EFT), Soul Memory Discovery, Emotion Code, Reiki Usui and Karuna Master/Teacher, Animal Communication, Quantum Coaching and Spiritual Path Guidance.

Johns also integrates color and sound healing, flower essences, crystals and stones, past life regressions and guided journeys into her work. Her mission is to help others achieve balance, healing, and personal transformation—one person, one thought, one animal at a time.

Connect at 520-825-4645, JourneyToHealing@msn.com or JourneyToHealing.com.

Massage Training Program in Tucson

Valori’s 700-hour massage training program is designed to build a strong foundation for a successful career in massage therapy. Students will refine their natural talent, develop the ability to work with intention, and cultivate client-centered skills—blending confidence, compassion, and mindfulness to provide treatments that keep clients returning. A great therapist not only masters technique but also listens intuitively and adapts each session to meet individual needs.

This state-of-the-art hybrid program combines the best of online learning with in-person, hands-on training. Instructor-led bioscience and theory courses provide essential knowledge that directly supports practical massage techniques. Experienced faculty, composed of passionate therapists and educators, guide students through both the science and the art of massage.

Graduates of this 700-hour course are eligible to take the MBLEx National Exam and apply for state licensure. The flexible hybrid model allows students to balance their education with personal commitments. Online coursework includes group teacher-led classes, chat forums, exams, and interactive learning, while on-campus computer libraries offer additional resources. Hands-on training ensures that students gain the confidence and expertise needed to excel in the field.

Location: 1527 N Wilmot Rd, Tucson. Connect at 520-528-9404 or email Info@ValoriED.com. See ad, page 11.

Dr. Shannon Bybee’s Unique Approach to Functional Medicine

Before becoming a medical doctor, Dr. Shannon Bybee worked as an engineer for 13 years. Her team was charged with building complex hardware and integrating highly sophisticated software. Dr. Bybee frequently performed debugging procedures, which are necessary to figure out the sources of problems and identify areas of improvement. Bybee brings this same approach to her medical practice. By evaluating the ofthidden causes of dysfunction, she’s able to restore patients to wellness, rather than simply treating their symptoms.

While an engineer, Bybee enjoyed competing in triathlons. She formed a lunchtime workout group at her office and also provided informal nutritional counseling to her coworkers. Dr. Bybee delighted in the results her coworkers experienced, including achieving weight loss, getting off medications, and enjoying an overall boost in wellness.

These experiences convinced Bybee that it was time to return to school—not to further her engineering education, but to change the world one patient at a time as a functional medicine provider. “Medicine and engineering are complementary fields, as the human body is a complex system with extensive interconnectivity following the same rules as electrical circuits, advanced chemistry and structural material science,” she explains.

Today, Bybee holds medical licenses in both Arizona and North Carolina. She works with patients in both states with either inperson visits or remotely via secure, HIPAAcompliant telehealth appointments.

Shannon Bybee, MD, is the founder of Tucson Valley Functional Medicine, located at 6831 N Oracle Rd, Ste 133, in Tucson. Connect at 520815-3066 or visit TVFunctionalMedicine.com.

Linda Johns
Dr. Shannon Bybee

Transitions Hair Studio: Elevate Your Beauty Experience

Transitions Hair Studio is Tucson’s premier destination for toptier beauty services, now thriving under new ownership. With a newly renovated space and an expanded range of offerings, the salon is home to 15 skilled hairstylists, as well as specialists in permanent makeup, lash extensions, permanent jewelry, nail services and more.

At the helm of Transitions Hair Studio is owner and professional makeup artist Yvette Dwornik, a highly respected expert in permanent makeup with over 20 years of experience. Dwornik specializes in eyeliner, eyebrows, microblading and full lip color, using a meticulous hand-applied technique instead of a machine. She prioritizes safety and comfort, utilizing fully disposable tools and industry-leading topical anesthetics—many clients even drift off to sleep during their eyeliner procedure.

Dwornik’s expertise has earned her the trust of cosmetic surgeons who frequently send referrals her way. “Many of my clients tell me they love their permanent makeup and wish they had done it years earlier,” she shares. To help clients explore their options, she offers complimentary 15-minute in-person or virtual consultations.

Beyond the salon, Lovely Links Permanent Jewelry, an extension of Transitions Hair Studio, will be featured at the Pima County Fair from April 17 to 27 in Thurber Hall—look for their signature balloon display.

Dwornik invites all to discover the transformation that awaits at Transitions Hair Studio, where beauty meets artistry, and every client is welcomed like family.

Connect at 520-869-5593 or TransitionsHairStudio.com. Location: 7163 E Broadway Blvd, Tucson. At Kolb next to DSW Shoes. See ad, page 10.

A Growing Community of the Holy Spirit

Friends of The Summit Lighthouse in Tucson provides wisdom teachings, spiritual tools, and a supportive community to help individuals achieve the highest goal—their individual Ascension. This local group explores the Teachings of the Ascended Masters as shared by Mark L. and Elizabeth Clare Prophet, referred to as the “servants of the seventh angel” in the Book of Revelation (Rev 10:7).

Dedicated to expanding their branch of The Summit Lighthouse, members of this small, yet devoted, community of Keepers of the Flame seek to walk a divine path back to God.

“Who longs for a community of heart friends, together walking a divine path leading back to God?” they ask. “Yes, such a path exists.”

The Prophets were entrusted with delivering the Word of God for the next two-thousand-year cycle, serving as messengers of the Ascended Masters. Today, their teachings live on through books, songs, decrees and prayers designed to elevate spiritual awareness and deepen the connection to the Light of God. While each individual’s journey is unique, all are invited to explore The Summit Lighthouse and discover these profound teachings for themselves.

For more information, call 520-330-2264 or visit SummitLighthouseTucson.org.

Tru47 Introduces Sleep Collection for Grounding and EMF Protection

Tru47 unveils the first-ever Silver and Jersey Sleep Collection, designed for grounding and EMF protection. This innovative line features pure silver woven Jersey Grounding Bed Bands for sleep, along with matching silver and satin pillowcases—all crafted to help restore, nourish and rejuvenate through restful sleep or a refreshing nap.

The Grounding Bed Bands and pillowcases come in soft Jersey fabric, available in natural or black, and woven with 99 percent pure, three-dimensionally electroless-plated silver threads. According to the team at Tru47, silver—known as a noble element (AG47)—offers numerous wellness benefits. The bed bands, available in all standard sizes, include a proprietary 10-foot alligator cord, allowing for flexible placement anywhere on the silver jersey fabric.

Lightweight and versatile, bed bands can be placed vertically or horizontally across the bed and tucked under the mattress sides, with the Alligator Cord clasped onto the fabric. They can also be used as a throw or lounger, draped around the body or under a laptop. The matching pillowcases feature 99 percent pure silver jersey on one side and silky polysatin on the other, combining function with luxury.

In addition to the Silver and Jersey Sleep Collection, Tru47 offers a range of sanitizing and grounding accessories made from pure silver fabrics. Their expanding Wellness Wear line includes functional and stylish protective apparel—such as scarves, hats and ponchos—designed for year-round wear. The brand also offers face, body and home goods infused with pure organic botanicals and colloidal silver, including a line of silverimbued 100% pure organic essential oils.

For more information visit TRU47.com, email CustomerCare@TRU47.com, or call 800-915-1647.

Yvette Dwornik
Elizabeth Clare Prophet

Explore the World of Aromatherapy and Ayurveda with Guadalupe Santillan

Dive into the ancient wisdom of wellness with Guadalupe Santillan, a certified aromatherapist and Ayurveda wellness consultant. After facing her own health challenges, she discovered the healing power of essential oils and the vibrant world of natural medicine. As a certified aromatherapist and Ayurveda wellness consultant, Santillan brings a wealth of experience and insight into each client’s wellness journey.

With a personalized approach, Santillan helps others harness the wisdom of ancient healing traditions, integrating diet, herbs, meditation and lifestyle practices tailored to each individual’s unique needs.

One key facet of her work is helping her clients discover their dosha. “Your unique constitution plays a vital role in your wellbeing. My personalized approach tailors treatments that resonate with you,” affirms Santillan. Additionally, her offerings include educating her clients on the power of essential oils to enhance their health; lifestyle and nutrition tips to support body, mind and spirit; and cultivating inner peace with meditation and mindfulness techniques.

With Santillan’s expertise, every step of each client’s wellness journey is infused with intention, wisdom and natural healing. She welcomes those seeking balance and vitality to explore the transformative power of her holistic approach.

Connect at 520-833-0660 or GSantillan@AromatherapyCreations. com to schedule an appointment. Location: REMI Therapeutic Bodywork, 1735 E Ft Lowell Rd, Ste 4, Tucson. Open Sunday/ Monday from 8 a.m. to 5 p.m.

Renew, Relax, Rejuvenate: The Healing Spirit Soaks Experience

Brandie Garcia’s journey with Healing Spirit Soaks began as a client, drawn to the serene and restorative environment that she now calls home. Over the years, she refined her skills in therapeutic soaks, contrast hydrotherapy, and rejuvenating massage—deepening her connection to the healing power of water and touch.

Now, as the owner and operator, Garcia is honored to guide others on their own paths to wellness. She has cultivated a welcoming sanctuary where guests can slow down, reset their nervous systems, and experience true relaxation. Under her care, Healing Spirit Soaks remains a place of profound transformation, with well-being at the heart of every service.

“We understand that life can get hectic. You deserve a peaceful sanctuary where you can recharge. Whether you’re seeking ultimate relaxation or a deep detox, we’ve crafted experiences to help you find balance,” assures Garcia. “Our holistic wellness offerings are designed to relax your body, calm your mind, and invigorate your spirit. Our expert team and tranquil environment will guide you to complete relaxation.”

The spa’s diverse wellness experiences include cedar hot tubs, cold plunges, an infrared sauna, Amethyst Biomats, reflexology foot treatments, bodywork, trigger point massage and more. “Come experience the healing spirit while soaking in cedar tubs, experience an invigorating cold plunge, relax into gemstone energy while lounging on a biomat, and so much more,” invites Garcia.

For those seeking a true escape from the stresses of daily life, Healing Spirit Soaks offers a pathway to renewal—where relaxation meets deep healing.

Connect at 520-344-3250 or visit HealingSpiritSoaks.com.

Location: 1074 N Swan Rd, Tucson.

Guadalupe Santillan
Brandie Garcia

Waste Not, Want Not

Benefits of a Circular Economy

Acircular economy mimics nature by keeping products and materials in circulation and regenerating their resources. According to the World Health Organization, it offers an avenue to sustainable growth, good health and decent jobs while saving the environment and its natural resources. Although this is not a new concept, an increasing number of businesses across various industries are acknowledging our climate crisis and renewing their dedication to sustainability.

Consumers, too, are recognizing their role in a circular economy and becoming more mindful of how they use their resources. By making conscious choices about their purchases, managing waste and cutting back on consumption, they can positively impact the planet, their wallets and communities at both a local and global scale.

Understanding Circularity

Claire Potter is the founder of One Circular World, and author of Welcome to the

Circular Economy: The Next Step in Sustainable Living. She notes that a circular economy is best described as a series of systems that work like nature does. “No waste is produced in nature, and everything flows,” she says. “Anything not required by one species is used by another or breaks down to provide nutrients for the earth. Nature works in balance with itself, and humans are the only species on Earth that doesn’t do that.”

A circular economy can provide this balance across multiple sectors. “By using a waste stream of material for another purpose, ensuring that the earth is nourished with organic waste, using materials for as long as possible before they are broken down to be used for another purpose, and ensuring that renewable energies are used to make and transport our products, the circular economy feeds into all elements of our lives,” explains Potter.

Consumers can start by cutting down on online shopping, which reduces packaging

and prevents unwanted items ending up in landfills. “It is very tempting to click on something and have it arrive the next day, but online shopping is notorious for having excessive amounts of packaging,” says Potter. “See if orders can be combined and packed together, or buy the same item from a physical store where you can try things on before purchasing them. Large volumes of clothing purchased online is returned, and, unfortunately, it is cheaper for the brand to ditch the item than to put it back into their supply chain.”

Rethinking Conservation Mantras

Although recycling is often touted as a cornerstone of environmental stewardship, Potter asserts, “Recycling won’t save us. We have had the ‘reduce, reuse, recycle’ mantra since around the first Earth Day in 1970, and yet our consumption-based industries have somehow encouraged us to focus on the ‘recycling’ element alone. In circularity terms, the first two are far higher up the hierarchy of desirable actions. Of course, recycling plays a part, but it is a deeply inefficient system.”

As an example, Potter points to the UK where “only around 9 percent of the plastic sent for recycling ever returns as a new item, and the rest ends up being landfilled or incinerated. In some cases, recycled material is exported to developing countries, which increases the risk of it being dumped into various ecosystems.”

Potter suggests a revamping of the old mantra to include refuse, repair, redirect, regenerate and refill. “Recycling is often a very energy- and transport-heavy system, so in circularity terms it is far better to reduce and reuse before you get to recycling, which should be the last resort,” she explains. “Buy the best possible option for longevity, repairability and upgradability; even if it is more expensive, that initial investment can pay out multiple times.”

Responsibly Managing Waste

While it can seem overwhelming to responsibly manage waste, businesses like

TerraCycle are stepping in to help by providing Zero Waste Boxes and other wastemanagement solutions to recycle almost everything—from everyday kitchen waste and cleaning supplies to cosmetics packaging and more. These free and paid solutions are available to individuals, offices, schools and facilities.

Established in 2001, TerraCycle developed its own platform of circularity called Loop. By partnering with retailers (Charlie Banana), brands (Coca-Cola, Evian and Nutella) and supply partners (FedEx), they enable the sale and collection of reusable and returnable versions of conventional, singleuse products, making the process convenient and accessible. People can order boxes from the company to fill with obsolete toys, small appliances, water filters, fabric, candy wrappers and other challenging items, and TerraCycle will take care of the rest.

“What makes something locally recyclable depends on whether your local recycling company can make a profit recycling it,” says TerraCycle CEO Tom Szaky. “If the cost of collecting and processing the waste is lower than the value of the resulting raw material, it will likely be locally recyclable. If the costs are higher, then it likely won’t be. Our specialty is recycling hardto-recycle items that would typically go to landfills or incinerators—everything from cigarette butts, to beauty empties, to spent toothpaste tubes.”

Going Zero Waste

Circularity has to start with production, says Mary Beth Schaye, a zero-waste consultant and vice president of the Collective Resource Compost Cooperative, in Evanston, Illinois. “When you first design something, you have to think about what’s going to happen to it in the end. It’s a very cradle-to-grave idea,” she points out.

Circularity goes against the current trend of planned obsolescence, a business strategy that encourages consumers to continually buy new products to replace those that become outdated or break down quickly. In contrast, there is a growing interest in a

policy known as “extended producer responsibility”, which makes manufacturers take responsibility for their products’ entire life cycle, including the post-consumer stage.

Schaye can’t think of a better way to prevent waste than by simply reducing new purchases. “It can sometimes feel like a burden for consumers to make sure everything goes in the right place,” she says. “It’s better to not have that thing to get rid of in the first place.”

Citing transportation as a barrier, Schaye notes that circularity works best when the circle is smaller. She urges people to look for repurposing solutions within their own communities, suggesting, “If there’s something that you are throwing out habitually, like extra food, boxes or containers, see if there’s someone else who can benefit from it. We encourage people to identify their own reuse pipelines.”

Reducing Food Waste

Feeding America estimates that people waste 92 billion pounds of food annually in the United States, filling up landfills and taxing the environment. “When food scraps go to landfill, they create methane, which is a greenhouse gas,” Schaye attests. “Minimizing methane is more impactful than carbon dioxide on reducing the global temperature.”

Composting is an example of circularity that people can understand. “We grow food; we eat the food; and we have food waste that gets composted so that it can enrich the soil to grow more food,” Schaye explains. “It’s easy and immediate. Most people have an option for composting, but they might not know about it.”

A way to reduce food waste is to plan meals ahead of time and avoid over-shopping at the grocery store. “If you know you’re going on vacation or will be eating out several

times in the next week, then don’t buy anything that will expire while you’re gone,” Schaye counsels. “If you do have extras, see if there’s a neighbor or community fridge that can take it. When eating out, try not to order more than you need, but if you think you will have leftovers, then bring your own containers to transport them home.”

Produce doesn’t have to look perfect in order to be consumed. A bruised peach might make a delicious pie, and overripe bananas are the key ingredient to homemade banana bread. If something is getting close to its expiration date, there may be a way to save it. “If you stock up on apples at the farmers market, make sure you properly store the extras to enjoy later. We’ve lost the old-school wisdom of how to preserve food. Freezing food and using the right containers can give it new life,” says Schaye.

Voting With Our Wallets

Consumers can also become more mindful of supporting institutions that practice circularity. Potter encourages people to look at their bank accounts, investments and pensions. “Often we do not know where our money goes after we deposit it with our bank. We could be trying our best to live as circularly as possible but have no idea that our hard-earned cash is being used to fund fossil fuel companies, for example. Do a bit of digging into where your money goes, and if you don’t like the answer, switch your money to an ethical bank investment group,” she suggests.

Other changes, such as switching to an energy provider that uses a 100 percent green tariff from renewable energy sources, will have both long- and short-term effects. “Your energy supplier will likely already have a renewable option, so switching might not be too hard and will help to invest in future-proofed systems,” says Potter. “If each of us does what we can, our strengths will overlap, eventually creating a beautiful circle of circularity.”

Carrie Jackson is a Chicago-based freelance writer and frequent contributor to Natural Awakenings. Connect at CarrieJacksonWrites.com.

Izobrazheniyapol'zovatelya

Leslie Davenport

on Resiliency and Creative Action in the Face of Climate Change

For 35 years, Leslie Davenport has been a licensed marriage and family therapist, working with clients in California and Washington. About 15 years ago, a lifelong interest in ecology, combined with alarming climate change warnings, prompted her to specialize in climate psychology and the treatment of eco-anxiety—concepts she helped create.

In her 2017 book, Emotional Resiliency in the Era of Climate Change, Davenport invited mental-health professionals to focus their skills on helping environmental activists and organizations become more effective in their important work. This visionary book transformed her career to include public speaking, teaching and writing numerous articles and books, including two for youngsters commissioned by the American Psychological Association: All the Feelings Under the Sun and What To Do When Climate Change Scares You.

What is your definition of emotional resiliency as it relates to climate change?

I define it as growing the capacity to remain present, grounded and empathetic, even in the face of rising distress. Until we get a better handle on slowing or stopping the rise of carbon in the atmosphere, that’s what’s being asked of us.

The idea is to not run and hide, check out with addictions or lose our footing in a way that we lash out in reactive ways. Instead, we stay with the discomfort, but not in a way that we’re walking around in a perpetual state of unease. We have to get nimble and comfortable with things shifting and changing, opportunities opening and closing and unexpected

things happening—sometimes for better, sometimes for worse. These skills can be learned.

One thing I should say about handling any climate emotion is, while coping is certainly a part of it, so is engaging in solutions because until climate change stops being on this escalating trajectory with more and more dramatic fires, floods and windstorms, there are limits to how much we can bring the level of emotional intensity down.

Why is it helpful to identify our climate-related emotions?

Humans are given this full spectrum of emotions, and in our predominantly Western culture, we aren’t very tuned in on that level. We are achievement-oriented and more in our head about things, but it doesn’t make those emotions go away. As we face climate change, we aren’t very well equipped to deal with the feelings that get triggered.

The first step is to identify those feelings and acknowledge that my feelings are not a problem to be solved. They are messengers and allies. This feeling of fear is telling me there are safety concerns, so let me look at how I can not only attend to my safety but also look for ways to help the community or the environment.

How do you use the Climate Emotions Wheel in your work?

It’s a conversation starter. If I’m leading an interactive workshop, there might be a

wheel at each table for six or eight people to share their experiences and start to normalize the process of talking openly about their feelings.

What can you say about the fear category in the Climate Emotions Wheel, which includes worry, anxiety, panic and overwhelm?

Notice that there’s a gradient there. Worry is not nearly as strong as panic or overwhelm. If you can learn how to manage your fear, worry can actually be motivating, prompting you to say, “This isn’t right. What can I do? Let me get involved and be a part of change.” But when it gets up into panic and overwhelm, trying to cope leaves no energy to be part of larger change. There are ways to honor and validate fear so that we can get back on our feet and manage our life better.

What are some coping strategies for fear?

Acknowledging it. Talking about it. Having it be witnessed. Learning mindfulness practices to lower the intensity of fear, whether it’s breath work or working with the thoughts that keep us awake at 3 a.m. and fuel the fear—not going into denial, but noticing that right at that moment, at 3 a.m., we’re in a peaceful, quiet house.

There isn’t necessarily a reason for that fear to be as high as it is in that moment. Then we can remind ourselves to tap into the feeling of peacefulness or safety that we have learned.

How can we expand our positivity?

Thousands of years ago, our ancestors needed to pay attention to sources of danger for their survival, whether it was a wild animal or marauding tribes. They were always scanning for safety, and it meant that they were programmed—and we are programmed—to pay way more attention to threats and risks than to beauty and what’s going well.

That negativity bias is the reason that therapists suggest walks in nature or a gratitude practice. Enjoying all the good things in our lives and the beauty in our natural world not only fuels our well-being and sense of calm, but it also helps motivate us to know what we can do to protect the things we value.

Sandra Yeyati is the national editor of Natural Awakenings magazine.

To read a longer version of this conversation, visit TinyURL.com/DavenportWW or scan the QR code.

Courtesy Leslie Davenport

Clean and Renewable Energy

New Advancements That Promise a Greener Future

As the demand for energy continues to rise, the need for renewable, natural sources has never been clearer. Groundbreaking advancements in clean energy are poised to replace—or, at the very least, significantly diminish—our dependence on fossil fuels, offering a path toward impactful reductions in greenhouse gas emissions. With broad acceptance of such innovations, a green, sustainable future is within reach.

Solar Energy Advancements

A single hour of sunlight hitting the planet contains more energy than we use in a year, but the challenge is to harness it efficiently. One innovation stacks an ultra-thin layer of perovskite minerals atop a standard silicon solar cell to capture a broader spectrum of sunlight.

These so-called “tandem solar cells” boast an impressive efficiency of more than 34 percent, compared to 20 percent with most residential solar panels. A single tandem panel can generate significantly more electricity, offering a better return on investment while conserving roof space. In September 2024, Britain’s Oxford PV began selling these panels in the United States.

The use of floating solar panels increases opportunities for energy production, minimizes land use, reduces water evaporation and serves as shade over a body of water. The solar panels are cooled by the water, making them more efficient. A recent study published in Solar Energy estimated that federally controlled reservoirs using floating panels could generate about half of future U.S. solar generation needs.

Ambient Photonics, in California, was inspired by photosynthesis to develop a solar cell that can generate power from low-level ambient light rather than direct sunlight. These indoor solar cells use a special dye to absorb light and create energy, making them more versatile and efficient than traditional solar panels. Because they are thin, flexible and can be applied to most surfaces, they could potentially replace batteries.

Korean scientists published the results of their work in fabricating flexible, transparent solar cells in the journal Nature in 2023. Commercialization of such technology would allow windows and skylights to bring in natural light while contributing to the building’s energy supply.

Wind Energy Innovations

Next-generation turbine designs are setting new benchmarks for wind energy performance and efficiency. General Electric’s Haliade-X offshore wind turbine with 350-foot-long blades has the capacity to generate more than 12 megawatts of power, doubling the energy of their predecessors.

Offshore wind farms, where winds are stronger and more consistent, are also moving to new frontiers. Employing floating turbines attached to buoys, the Hywind project located 87 miles off the coast of Norway is estimated to eliminate 200,000 tons of carbon dioxide emissions annually.

Progress has also been made to tackle the environmental challenges of retired turbine blades that are comprised of fiberglass and carbon fiber. Researchers from the University of California, Davis, are testing biodegradable blades using eco-friendly materials like bamboo, mycelium and agricultural waste.

Stora Enso, one of the largest private forest owners in the world, has partnered with Voodin Blade Technology of Germany to make sustainable wooden blades and has also partnered with Modvion of Sweden to make wood the material of choice for their wind turbine towers.

Role of Artificial Intelligence

Artificial intelligence is revolutionizing the renewable energy landscape, enabling realtime monitoring and optimization of energy generation and distribution across solar, wind and geothermal sources, optimizing energy storage solutions and detecting maintenance needs before issues arise to ensure peak performance year-round.

Overcoming the Challenges

Even with its impressive growth, the renewable energy sector faces several challenges.

Because the efficiency of solar and wind power is dependent on weather conditions, advancements in energy storage are critical to bridge the gaps between supply and demand. This is where high-capacity batteries and pumped-storage hydroelectricity come in.

Existing energy grids and infrastructure were designed with fossil fuels in mind, whereas renewable sources are decentralized and require different setups. Investments are needed to modernize grid systems to handle these novel demands.

Public resistance, lack of awareness or misconceptions about renewable technologies can slow adoption rates. Empowering local communities to participate in renewable energy projects can foster a sense of ownership while addressing specific local needs and concerns.

Despite these obstacles, the promise of a sustainable energy future that benefits people and the planet is worthy of the effort.

Tom Whittle is the national publishing manager of Natural Awakenings magazine.

The treatment is suitable for both men and women and involves a minimum of six sessions, each lasting 30 minutes. Patients remain fully clothed during the procedure, and many report noticeable improvements after just one session. Struggling with

Bladder Leaks or Weak Pelvic Floor Muscles?

Emsculpt is a non-invasive body contouring treatment. Muscle building: HIFEM energy induces intense muscle contractions, which are much stronger than what you can achieve through regular exercise. These contractions help build and tone muscles. Fat reduction by 30%!: Designed for areas like the abdomen, buttocks, arms and legs.

Moving More

The Path to Greater Health and Energy

The thought that a few extra minutes of movement each day could transform our health, energy and happiness is the motivation behind the American Heart Association (AHA) promotion of April as Move More Month. For avid fitness enthusiasts, as well as those looking to take the first step toward an active lifestyle, this is the time to celebrate movement in all its forms.

Physical inactivity has become a creeping health crisis. According to guidelines published by the U.S. Department of Health and Human Services, nearly 80 percent of adults fail to meet the recommended levels of aerobic and muscle-strengthening activity. The AHA reports that cardiovascular and heart disease affects nearly half of all American adults, causing direct and indirect costs that are projected to reach $1.1 trillion by 2035, according to RTI International, a nonprofit research institute.

The Harvard T.H. Chan School of Public Health reports that a healthy lifestyle, which includes regular exercise, may prevent 80 percent of sudden heart attacks and cases of coronary artery disease, as well as 50 percent of strokes caused by blood clots. The health benefits are reason enough to hit the gym or go out for a morning jog. Move More Month inspires us to incorporate movement into a busy life and, most importantly, find joy in an active lifestyle.

Exercise Options

There is no one-size-fits-all formula for fitness, and Move More Month is an opportunity to explore the options that best match our personality, lifestyle and fitness level.

• Fitness boot camps are high-energy workouts in an energizing environment that welcomes beginners and experienced fitness lovers alike. Accept the challenge with a local trainer, at a CrossFit gym or with the guidance of an app like BurnFit.

• Dance classes such as Zumba, salsa or hip-hop can be fun and immersive workouts that don’t feel like exercise at all.

• Yoga in the park combines mindfulness with a great stretch and a dose of natural vitamin D. Many communities offer free sessions.

• Water sports like kayaking and paddleboarding develop balance, core strength and endurance while communing with nature.

• Social sports, including golf, pickleball and tennis, not only burn calories but also offer camaraderie and fun.

• Daily walks are the cornerstone of an active lifestyle. Try to reach 10,000 steps with walks around the neighborhood or local park, remembering to compound the benefits by using this time outdoors to calm the mind and invigorate the spirit.

• Team sports like soccer, basketball or softball offer wonderful workouts combined with competitive team play at local parks or sports clubs.

Breaking Sedentary Habits

Making the shift from a sedentary lifestyle can feel daunting, but every huge transformation starts with a single step. Try these practical tips to ease into an active lifestyle.

• Set achievable goals. Start with 10 minutes of movement a day and gradually extend the time.

• Integrate movement throughout the day. Stretch while watching TV, park the car farther from work or stores to take extra steps, or choose the stairs instead of the elevator whenever practical.

• Use technology. Fitness trackers by Fitbit, Apple, Samsung and Garmin help monitor progress, set challenges and offer that extra motivational nudge.

• Applaud everyday wins. Even tiny changes matter. Try a new dance move each day. Stretch in the mornings or set reminders to get up and move during long work hours.

• Avoid perfectionism. What matters is consistency. All movement is progress, so celebrate it.

The Power of Community

We often think of exercise as a solo endeavor, but getting others involved can be a great tool for staying motivated. Local communities are brimming with opportunities to connect with others, offering interactive activities such as running clubs, group fitness classes, sports leagues and cycling tours. Many neighborhoods have online groups or bulletin boards that promote meetups, classes and fitness events.

Move More Today

Movement isn’t just about physical health; it’s about the joy of discovering what the body can do, the pride in building a healthier routine and the sense of belonging to a group of like-minded individuals. Don’t wait for tomorrow to get started. Lace up, stretch out and start moving today.

Zak Logan is a freelance health writer dedicated to getting back to basics.

Intuitive, Healing Arts & Yoga

Acupuncture & Chinese Medicine

JADE STAR

ACUPUNCTURE & WELLNESS

520-881-0827

Info@JadeStarAcupuncture.com JadeStarAcupuncture.com

Emotional Freedom Technique

MARIA KINGSLEY

520-780-0170 KadaKingsley@msn.com Maria-Kingsley.com

Energy Work

SUZANNE PEAR

5160 E Glenn St, Ste 150, 85712 520-400-8109

DoctorSuzie@ PamperedSkinStudio.com

Hypnotherapy

MARIA KINGSLEY

520-780-0170 KadaKingsley@msn.com Maria-Kingsley.com

Iridology

OPTIMUM HEALTH

SOLUTIONS TUCSON

Discover your blueprint for optimum health 206-734-7003

TucsonIridology.com

Massage

BRYANT DIETRICK, LMT

520-449-7581

6522 E Carondelet Dr, 85710 Bradeazy@gmail.com

KEN READER, LMT, RYT

The Right Touch Massage Therapy

3958 E Fort Lowell Rd, 85712 520-326-7675; cell 520-230-9103 RightTouchMassageTherapy.com

SHAWNA ROBERTS, LMT, REIKI II PRACTITIONER

Blissfully Be Holistic Wellness BlissfullyBe.com Call/Text 520-216-5699

Medical Intuitive

DANIELLE DVORAK 847-323-9188

Danielle@Replevyn.com Replevyn.com

Nutrition Response Testing

CHRIS EVE

Tucson & Bisbee Locations 520-444-1461

FSTWellness.com

Reiki for People and Animals

KINDRED LIGHTS

HEALING ARTS

Charis Nick-Torok, RMT 520-771-6902

CharisKindredLightsHealing.com

Sound Therapy

DR. LANCE MORRIS 2310 N Wyatt Dr, 85712 520-322-8122

ResonantSoundTherapy.com

DANIELLE DVORAK 847-323-9188

Danielle@Replevyn.com Replevyn.com

Yoga

KEN READER, LMT, RYT Yoga privates, 25 year experience Mobile appts • 520-230-9103

RESILIENCY WELLNESS CENTER 2055 N Kolb Rd, 85715 DrCourtneyNDavis.com/yoga Yoga, HOT Yoga, Yoga Therapy, Pilates, Dance

WATERFALL YOGA 3460 W. Peterson Pl, 85741 520-275-1915

WaterfallYoga.net

THE YOGA CONNECTION 3929 E Pima, 85712 520-323-1222

Yoga@YogaConnection.org YogaConnection.org

Increasing Gut Health With Prebiotics

How To Feed the Good Microbes

Acompromised gut can make us susceptible to a host of conditions, including depression, chronic disease and viruses such as COVID-19. To fortify us against such illnesses and generally strengthen the digestive tract, prebiotic foods like asparagus, dandelion greens, bananas, leeks and Jerusalem artichokes can be quite helpful.

“Prebiotics are like fertilizer for your gut garden, helping it flourish so your whole body can thrive,” explains Donna Schwenk, author of Cultured Food for Life. “When you consume prebiotics, they pass through the digestive system undigested and become fuel for the friendly bacteria in your colon. This process helps the ‘good guys’ thrive, increasing their numbers and supporting a healthy balance of gut flora.”

Feeding the Good Bacteria

A harmonious mixture of prebiotics and beneficial intestinal flora—known as synbiotics—can help ward off illnesses, lower “bad” cholesterol and reduce chronic gut inflammation, which is linked to the development of tumors and colorectal cancer. A review published last year in the journal Foods suggests that adding prebiotics to the diet could improve cognitive function, relieve symptoms associated

with inflammatory bowel disease and osteoporosis, and even resolve gastrointestinal disorders that plague up to 70 percent of individuals on the autism spectrum.

Adding healthful prebiotics can be as simple as dropping a few raspberries, blueberries or strawberries into unsweetened yogurt or kefir. Dandelion greens, which are packed with inulin, can be tossed into salads, sautéd with a little garlic and olive oil, or added to smoothies. Leeks, which are mild and sweet, can be enjoyed in soups, sautés, quiches, miso broth or cream dips. Other delicious prebiotic ingredients

include bananas, flax and chia seeds, cacao nibs, lentils, oats, barley, chicory and jicama root, almonds, seaweed and avocados.

Schwenk suggests an easy gourmet dish that features roasted asparagus, apples and Jerusalem artichokes over a bed of greens tossed with a probiotic-rich salad dressing. She notes, “Apples are rich in pectin, a soluble fiber and powerful prebiotic that ferments in the gut and feeds beneficial bacteria like Akkermansia muciniphila, which play a vital role in maintaining and strengthening the gut lining.”

Pros and Cons of Fermented Foods

According to Schwenk, refrigerated kimchi and naturally fermented sauerkraut are rich in Lactobacillus plantarum, a powerful probiotic that thrives during fermentation, breaking down sugars and promoting a healthy microbiome. Benefits include nutrient absorption, mood support and enhanced immune function.

Renee Barasch, a certified digestive specialist and owner of Digestive Health Solutions, concurs that these probiotic foods can aid in balancing blood sugar, insulin resistance and digestive woes like constipation, diarrhea, bloating, heartburn, acid reflux and gas. On the other hand, she

cautions that fermented ingredients can be too high in histamine and thus cause uncomfortable digestive issues for some people.

“Folks need to keep in mind their unique gut microbiome,” says Barasch. “Some people will feel gassier or bloated from some of these foods, depending upon their gut health. I use the BiomeFx stool test to identify the presence of histamine, estrogen, hydrogen sulfide and other things that could cause gut issues.”

How To Introduce Prebiotics

Findings published in the Journal of Advanced Research in 2020 suggest that certain types of gut flora could play a role in the development of inflammatory bowel diseases. Prebiotics like garlic can become antagonists for those that have an overabundance of certain types of intestinal microbiota. Garlic can also lead to high concentrations of hydrogen sulfide, which can contribute to gut inflammation.

Schwenk advises, “Introducing prebiotic foods gradually is important to avoid stomach discomfort, especially if you’re new to them. Prebiotics feed your gut bacteria, which can produce gas as they ferment the fibers, so a slow and steady approach is best.”

She recommends eating prebiotics together with probiotics like yogurt, kefir or kimchi so the gut can handle the increase in fiber more effectively. Begin with one or two tablespoons per meal to slowly introduce the beneficial bacteria into the system. “Kimchi and kraut are versatile,” Schwenk remarks. “You can enjoy them as a side dish, mix them into fried rice or even stir them into soups after cooking to preserve the live probiotics.”

Marlaina Donato is an author, artist and composer. Connect at WildflowersAndWoodSmoke.com.

½ cup kefir cheese (see below)

2 tsp garlic powder

2 tsp onion powder

APPLE KEFIR SALAD DRESSING

Turn any salad into a probiotic powerhouse with this creamy, tangy dressing.

YIELD: 2 SERVINGS

2 Tbsp kombucha or apple cider vinegar

2 Tbsp apple juice

½ Tbsp honey

To make kefir cheese, strain 2 cups of kefir through a finemesh strainer lined with cheesecloth or a nut milk bag over a bowl. Let it strain in the refrigerator for 12 to 24 hours until thickened, then transfer the cheese to a container and store for up to three weeks. The liquid whey can be saved for smoothies, soups or fermenting.

Whisk all ingredients together in a small bowl until smooth. Serve immediately or refrigerate for up to 3 weeks.

YIELD: 1 QUART

6 large ripe tomatoes

2 small onions

2 small, red or green peppers

BLENDER SALSA

This easy-to-prepare salsa is bursting with flavor and health benefits. Tomatoes are an excellent source of the antioxidant lycopene, while garlic and onion are prebiotics. The recipe also calls for a probiotic culture to support gut health with live probiotics. It is a perfect way to introduce cultured foods to hesitant eaters.

YIELD: 1 SERVING

BLUEBERRY BLAST SMOOTHIE

This smoothie is packed with gut-healthy probiotics from kefir and antioxidants from blueberries, making it a powerful tool to support urinary tract health and boost the microbiome. Kefir provides a variety of good bacteria, while blueberries and their juice contain compounds that can help prevent bacterial growth by depriving bacteria like E. coli of the iron they need to thrive.

½ small banana, frozen into chunks

¾ cup kefir

½ cup coconut milk

2 4-oz cans chopped green chilies, with juice

2 cloves garlic

2 tsp paprika

2 tsp ground cinnamon

4 tsp chipotle powder

1 Tbsp raw sugar or Sucanat

⅛ tsp veggie starter culture (or 2 Tbsp kefir whey)

1 tsp Celtic sea salt

Combine all ingredients, except the starter culture, in a blender or food processor until chunky or smooth, depending on preference.

Stir in the veggie starter culture or kefir whey, making sure it is well incorporated.

Transfer the salsa to jars, seal with a secure lid and ferment at room temperature. After two days, store in the refrigerator and enjoy.

½ tsp vanilla

1 cup frozen blueberries

1-2 tsp honey

Place all ingredients in a blender and blend until smooth. Pour into a glass and enjoy immediately.

Optional: Add a prebiotic powder like Prebio Plus to enhance good bacteria growth. Start with small amounts to avoid discomfort as the gut adjusts.

KEFIR KRAUT DIP

Loaded with billions of probiotics, this dip is perfect for any occasion. It’s quick to make and perfect with sprouted chips or fresh veggies.

YIELD: 6 SERVINGS

½ cup sauerkraut, drained (or kimchi)

1 cup kefir cheese (see below)

Optional Toppings

1 tsp black pepper

1 Tbsp toasted sesame seeds

1 Tbsp fresh parsley, chopped

To make kefir cheese, strain 2 cups of kefir through a fine-mesh strainer lined with cheesecloth or a nut milk bag over a bowl. Let it strain in the refrigerator for 12 to 24 hours until thickened, then transfer the cheese to a container and store for up to three weeks. The liquid whey can be saved for smoothies, soups or fermenting.

Mix the sauerkraut and kefir cheese in a bowl until well combined. Add black pepper, sesame seeds or parsley, if desired.

Recipe and image courtesy of Donna Schwenk.

Courtesy Donna Schwank
Courtesy Donna Schwank
Courtesy Donna Schwank
Courtesy Donna Schwank

Relief for Fibromyalgia

Promising Strategies for Pain Reduction

According to the Mayo Clinic, fibromyalgia is characterized by widespread musculoskeletal pain and fatigue, accompanied by sleep, memory and mood problems. It affects about 4 million Americans and is most often diagnosed between the ages of 35 and 45. Adult women are twice as likely as men to suffer from this chronic, debilitating condition.

“Although the exact cause of fibromyalgia is not known, many researchers have come to believe that it results from an overactive nervous system that misfires, making pain signals stronger and more persistent. It appears that the brain and nerves are not processing pain messages correctly, leading to heightened sensitivity and discomfort. Traditionally, treatments have been focused on managing symptoms rather than addressing the root causes, but exciting advances in medical research and treatment are on the horizon,” says Jane Hogan, a functional medicine certified health coach, founder of the Wellness by Design podcast and host of the Becoming Pain-Free 2.0 Summit last November.

Getting to the Root Cause

Dr. Evan Hirsch, a functional medicine practitioner and CEO of EnergyMD, states, “Fibromyalgia is an autoimmune disease, or at least inflammation, and all inflammation is essentially autoimmune. If that autoimmunity ends up attacking the muscles, you get fibromyalgia. Essentially, the immune system is reacting to something that is in the body. When that something is in the muscles, the immune system is attacking that thing in the muscles.”

Hirsch suggests that the offenders might be a combination of heavy metals, chemicals, molds, infections and nervous system dysfunction. He stresses that if symptoms

began after COVID, then it is important to address that infection. Bartonella bacteria, which are spread to humans by fleas, body lice or sand flies, can live in the muscles, causing inflammation—and pain—in the tendons and ligaments.

Stress and the Vagus Nerve

Stress is a major risk factor for many chronic health conditions. According to Hogan, “A key player in calming fibromyalgia pain is the vagus nerve, which activates the nervous system’s parasympathetic state, or relaxation response. A promising area of research is investigating noninvasive vagus nerve stimulation as a safe and effective mode of pain management for fibromyalgia patients. Methods of selfstimulation of the vagus nerve include deep diaphragmatic (or belly) breathing, body movement, reflexology, gargling, humming and cold-water immersion. Trauma can also contribute to chronic pain, so incorporating more mind-body techniques can improve overall health and wellness.”

Low-Dose Naltrexone

Traditionally used for opioid addiction,

naltrexone has been studied for its potential to reduce pain and inflammation in fibromyalgia. A 2023 systematic review published in the Journal of Pain Research reported that lowdose naltrexone appears to be effective and safe in the symptomatic management of fibromyalgia. The researchers noted that additional studies were needed to determine dosage, frequency and duration recommendations.

The Importance of Gut Health

The gut microbiome houses 70 to 80 percent of the body’s immune cells. “Anything that is in the gut that is not supposed to be there, including foods, can cause inflammation, and inflammation in the gut leads to inflammation in other parts of the body, which can cause pain in the muscles and fibromyalgia,” says Hirsch. “Gut health and the health of the microbiome is critical for lowering chronic inflammation and pain.”

He recommends focusing primarily on fiberrich foods, healthy fats and lean protein, as well as prebiotic, probiotic and postbiotic foods. Removing ultra-processed foods and common food sensitivities can also help to lower inflammation in the gut.

A fecal transplant from a healthy donor may be beneficial to replace vital gut bacteria; however, the transplant may have to be repeated multiple times over extended periods, says Hirsch. In his experience, patients are unable to keep up the treatments for a variety of reasons. “If they don’t keep doing it, they aren’t going to continue to get the benefits,” he points out.

A New Hope

The world of fibromyalgia treatment is rapidly evolving with new therapies, from regenerative medicine and targeted drug therapies to integrative mind-body treatments. It is exciting to see this new shift toward personalized, effective care that addresses physical, mental and emotional aspects of fibromyalgia, bringing new possibilities for pain relief and an improved quality of life.

Madiha Saeed is a holistic, functional and integrative doctor in Naperville, Illinois, and director of education for Documenting Hope and KnoWEwell.

Treating Urinary Infections in Cats

How Diet, Hydration and Supplements Can Help

Ahealthy urinary system in cats depends on a balanced diet to prevent issues like feline lower urinary tract disease (FLUTD), which affects the urethra and bladder of cats, creating major health risks and causing discomfort. Affected cats may scream in pain, pass very tiny amounts or strain to urinate. Some start urinating outside the litter box, usually on cool places like bathtubs or tile floors, or have blood in their urine.

Poor food choices, especially dry food, can disrupt urinary function, leading to pain, frequent urination and dangerous blockages. The right diet can help manage inflammation, support the bladder and speed up recovery, so proper food selection is needed for prevention and healing.

A study in the Journal of Feline Medicine and Surgery noted that FLUTD can lead to painful urination and blockages caused by struvite crystals that become wedged within the urethra. Researchers suggested that dry food can worsen the condition because the lower intake of water causes urine to be more concentrated, thereby increasing the risk of crystal formation.

Homemade Diet for Urinary Health

“Commercial dry cat food frequently lacks the necessary moisture and contains preservatives, fillers and incomplete nutrients,” says Marketa Jefferson, a holistic pet health coach. “A moisture-rich diet, such as homemade or raw food, is essential for preventing dehydration and reducing the risk of urinary issues like urinary blockages and FLUTD, as cats have a naturally low thirst drive.”

She recommends a diet with high-quality, species-appropriate ingredients tailored to support a cat’s urinary health. “A homemade diet gives pet owners full control over what goes into their cat’s food, ensuring it is fresh, balanced and free from unnecessary additives,” she explains. “Proper hydration is one of the most important factors in maintaining a healthy urinary system, and fresh food provides much-needed moisture that kibble lacks.”

Best Ingredients for FLUTD

“Urinary diets for cats should include high-quality animal proteins, such as deboned meat and organ meats, along with essential fatty acids like fish oil,” says Jefferson. “Adding the right vitamins and minerals is crucial, and small amounts of vegetables can also be beneficial.”

It may take some time and patience to convince cats that are used to eating kibble to switch to a homemade FLUTD diet. “In my experience with three cats, they all eventually switched to homemade food and love it now, but one of them took over a month to fully adapt,” Jefferson points out, adding that one of her cats lost five pounds after switching to a healthier homemade diet, which was a huge health improvement.

Natural Remedies for Urinary Support

Certain natural supplements can be beneficial for feline urinary health. “Rather than relying on antibiotics for urinary tract infections, I use natural remedies to support bladder health, as well as PEA [palmitoylethanolamide], a medicine that can ease discomfort and support the urinary tract,” says Jefferson. “Chinese herbs can help maintain kidney and bladder function, while cranberry extract may prevent bacteria from adhering to the urinary tract. Marshmallow root is another excellent remedy because it has antiinflammatory properties and helps soothe bladder irritation, while vitamin C supports immune function and omega-3 fatty acids help reduce inflammation.”

Tips for Preventing FLUTD in Cats

Jefferson emphasizes that prevention starts with proper hydration and environmental management. “Eating moisture-rich FLUTD cat food is crucial for staying hydrated and flushing bacteria from the body. Keeping several water bowls around the house or using a water fountain can encourage drinking,” she explains.

Additionally, maintaining a clean litter box is essential because it promotes proper usage and allows for better urinary health monitoring. “I personally use Pretty Litter because its crystals change color in response to urine acidity and alkalinity, providing an early indication of potential health issues,” Jefferson points out.

“Minimizing household stressors can also greatly support both urinary and overall well-being,” says Jefferson. “Mental stimulation is just as important—interactive toys, scratching posts and enrichment activities help keep cats engaged and active, reducing stress levels.”

Jefferson also points out the importance of monitoring urine acidity, noting, “Keeping an eye on your cat’s urine pH is crucial, especially if they are prone to urinary issues. The ideal range is between 6.5 and 7. If it reaches 8 or higher, that may signal an infection or underlying issue that needs veterinary attention.”

Ruth Roberts is an integrative veterinarian and holistic health coach for pets, as well as the creator of The Original CrockPet Diet. Learn more at DrRuthRoberts.com.

Calendar of Events

NOTE TO OUR READERS: All events were accurate at press time; we suggest confirming these details with the hosts before attending. Please check NaturalTucson.com to enter your events or find others.

Saturday, April 5

Yoga Nidra and Crystal Singing Bowl Restorative Sound – 1:30-3pm. Transformative workshop combining crystal singing bowls, Koshi chimes and Yoga Nidra to promote deep relaxation, balance and healing. Limited to 12 participants. $20 or $15 all access. The Yoga Connection, 3929 E Pima. 520-323-1222. YogaConnection.org.

Saturday, April 5

Healthy Living with EMFs – 11am-12:15pmLisa Smith of EMF Wellness Tucson will explain RF radiation, demonstrate measurement techniques and share key strategies to reduce exposure for better health. No charge. Natural Grocers 3016, 3016 E Broadway Blvd. EMF-Wellness.com.

Sunday, April 6

Intro to MELT – 1-2:30pm. Experience the MELT Method to reduce pain, stress and inflammation using soft rollers and treatment balls for lasting health and vitality. Learn more: MeltMethod.com. In-Studio participants limited to 12; preregistration is required. $15 or all access. The Yoga Connection, 3929 E Pima. 520-323-1222. YogaConnection.org.

Mark Your Calendar

Energy Healing for Pets –Awaken the Healer

Mondays, April 7–28, 4-week Zoom class • 5-6:30pm PDT

New Class. New Material. Explore energy healing and develop skills helpful in supporting your animals and holistic healing for the world.

Recorded sessions available. $199

Info: Linda Johns, 520-825-4645, JourneyToHealing@msn.com

Register: JourneyToHealing.com

Tuesday, April 8

Tucson Paranormal Society Book Club Gathering – 6-7:30pm. Join the Tucson Paranormal Society Book Club to discuss metaphysics, share experiences and exchange books with like-minded friends. No charge. Barnes and Noble, 5130 East Broadway Blvd. 520-512-1166. TucsonParanormalSociety.com.

Thursday, April 10

EMF Hazards Summit: Safeguard Our Future – 4/10-4/15. 12am-11:55pm. Learn sciencebacked strategies to protect your family from EMF risks like cancer, hormonal disruption and sleep issues for future generations. No charge. Register: bit.ly/EMFHazards2025.

Friday, April 11

Mantra: The Yoga of Sound and Practice of Attunement – 6-8pm. Explore the ancient yogic practice of mantra through history, intention and practice in Vedic, Tantric and Bhakti traditions with readings and guided sessions. Per session: $30/2 CEs; $20 all access. The Yoga Connection, 3929 E Pima. 520-323-1222. YogaConnection.org.

Mark Your Calendar

Apothecary Medicine Painting

April 11 • 6-8:30pm April 12-13 • 9 am-4 pm

Join Intentional Creativity teachers Rosie Mac and Valerie Kravette for an inspiring painting experience. Transform life’s challenges into remedies through painting. No artistic skills needed—discover healing and empowerment as you create art and reconnect with your inner wisdom.

Value: $475; Your Investment $400

Saguaro Christian Church, 8302 E Broadway Blvd, 85710 The-Artist-At-Large.com/apothecary

Mark Your Calendar

Tuning Forks - Sound Vibrational Healing for People and Animals

In-person Class • April 12 • 12:30- 4:30pm

Looking for a way to reduce stress, tension, or pain for yourself or your pet? Try sound vibrational healing with tuning forks. Linda offers a class that teaches tools and techniques for self-healing, helping others and working with animals.

Class includes 1 earth ohm tuning fork, $145 • Additional packages available JourneyToHealing.com click on calendar for more information.

Mark Your Calendar

Bio-Touch Meetup & Practice May 5 • 9am • 5634 E Pima St Bio-TouchDoveMountain.com/meetup

Bio-Touch Practitioner Training April 12 & 13 • 9am-3pm

Live/In-Person • 10 Hours of CE for nurses, doulas and massage therapists Bio-TouchDoveMountain.com/ practitioner-training

Free Workshop

Addressing Massage Therapy Using Bio-Touch Healing

April 24 • 6pm

Live on Facebook and YouTube @BioTouchHealing

Mark Your Calendar

Scalar Energy & Sound Healing

April 13 • 1:30–3:30pm

Experience drumming meditation, scalar waves, biophotons and Tibetan bowls for deep relaxation, stress relief and energy balance.

$99

Scalar Healing Center, 3838 E. Ft Lowell Rd, 85716

Info: Linda Johns, 520-825-4645, JourneyToHealing@msn.com Register: JourneyToHealing.com

Sunday, April 13

Partner Yoga – 2-3:30pm. Partner yoga to release, restore and unwind with guided support. All levels welcome; some experience helpful. Led by Marty Twichell, E-RYT500. $25 per duo/ partners. The Yoga Connection, 3929 E Pima. 520-323-1222. YogaConnection.org.

Tuesday, April 15

FAMA Public Living Room – 10am-12pm. Join us at the Historic Y for a Public Living Room—a welcoming space to connect, relax and build community without judgment. No charge. The Historic Y, 738 North 5th Avenue, FourthAvenue.org.

Mark Your Calendar

5-D Living in the heart

April 17 • 5-6:30pm PDT

3rd Thursday of the Month, six-month series. Live class.

Gather with new teachings, meditations and healing practices channeled from the Divine realm to help us navigate our daily lives from a 5-D heart. Flexible payment options.

Info: Linda Johns, 520-825-4645, JourneyToHealing@msn.com

Register: JourneyToHealing.com

Saturday, April 19

Gong Bath – 4-5:30pm. Set intentions, release old patterns and relax as healing sound vibrations support physical, emotional and spiritual transformation in this immersive Gong Bath experience. $30 or all Access pass. The Yoga Connection, 3929 E Pima. 520-323-1222. YogaConnection.org.

Tuesday, April 22

Gratitude Rainshower – 6:30-7pm. Experience a 30-minute gratitude rain shower with Sharon Whealy. Share your gratitudes and bask in the effervescence. No Charge. Contact CSLT911@gmail. com for Zoom access information. TucsonCSL.org.

Friday, April 25

Weekend Retreat: Yoga, Meditation and Kirtan Bisbee Retreat – 3pm-11:30am. 4/25-4/27.

Features an exceptional yoga space, The Kilimanjaro, perfect for unwinding and recharging. $25/ class. $200 for all weekend events. The Kilamanjahro Event Center, 33 Subway St, Bisbee. 520-323-1222. YogaConnection.org.

Mark Your Calendar

Moving Your Metamorphosis: a Workshop for Life Transitions

April 26 • 1-6pm

This 5-hour, creative workshop gives you a rudder for navigating your life transition with meaning and authenticity. Through somatic movement, writing and simple choreography arising from your process, you’ll dive into the unknown to emerge with more clarity, direction and confidence.

$250 3131 N Cherry Ave, 85719

Mark Your Calendar

One-Day Healing Retreat

April 27 • 10am-5pm

This retreat helps you manifest while releasing old patterns from your nervous system. Enjoy healthy food, nature and five wellness stations, including sound healing, color therapy and more. Optional Jacuzzi, sauna and massages available.

$199

JourneyToHealing.com click on calendar for more information.

Saturday, April 26

Karma & Reincarnation: Did You Live Before? – 10-12am. Explore how reincarnation shapes your past, present and future. Join us for an engaging discussion. Light refreshments provided. No charge. The L Offices, 1860 E River Rd, Ste 325. 520-330-2264. SummitLighthouseTucson.org.

Sunday, April 27

Arizona Aum Festival – 9am-3pm. Join us for a day full of free yoga at the second annual Arizona Aum Festival. Bring your mat and enjoy a variety of yoga and meditation classes, Kirtan, vendors and the coolest community vibes. For more details visit No charge. Brandi Fenton Memorial Park, 3482 E River Rd. AZAumFestival.com.

Ongoing Events

Daily

Warmpool Peaceful Floating – 10am-6pm. 90 min, by appointment. Wednesdays-Saturdays. Santa Rita Springs invites you to float in our indoor warm pool. $20/solo/duet; $35/3-5 guests. Santa Rita Springs, 2301 N Santa Rita Ave. Text: 520-990-1857. SantaRitaSprings@gmail.com. SantaRitaSprings.com.

Watsu Aquatic Massage: Katelyn Schombert – 10am-7pm. By appt. Wednesdays-Saturdays. Shiatsu, Jin Shin Jyutsu, Cranial-Sacral Therapy, Integrative Massage methods in our indoor 96-degree saltwater pool. $150/90-minutes. Santa Rita Springs, 2301 N Santa Rita Ave. Text: 520-990-1857. Santa RitaSprings@gmail.com. SantaRitaSprings.com.

Sunday

First Sunday Antique Vintage Fair – 8am-2pm. First Sunday. Over 100 vendors, great deals and a beautiful park. No better way to spend your Sunday. Medella Vina Ranch, 4450 S Houghton. 520-298-1983.

Meditation – 9-11am. Meditation: 9-10am; Service Reading: 10-11am. Paramahansa Yogananda, author of Autobiography of a Yogi. All welcome. No charge. Self-Realization Fellowship, Tucson Meditation Group, 1702 E Prince #140. 520-7926544. TucsonMeditationGroup.org.

Unity of Tucson Spiritual Center Sunday Celebration – 9:15-10:30am. Our purpose is to provide a safe, inclusive space for exploring New Thought principles to master understanding, find purpose and develop a spiritual path. Unity of Tucson Spiritual Center, 3617 N Camino Blanco. 520-577-3300. UnityTucson.com.

Worship Service: Casas Adobes Congregational Church – 9:30am. In-person and live streamed. Faith-centered, music-loving Christian congregation with a variety of worship and spiritual enrichment opportunities. No charge. Info@ CAUCC.org. CAUCC.org/Welcome/Natural.

Aldea Spiritual Community: Weekly Gathering – 10-11am. Enjoy music, meditation and a message on practical spirituality. Afterward, we offer optional discussions or activities. Childcare is available for preschoolers and up. No Charge. Aldea Spiritual Community, 8800 N La Cañada Dr. AldeaSpiritualCommunity.org.

New Mind, New World: Buddhist Philosophy and Meditation for Daily Life – 10-11:15am. Buddhist teachings and meditation to help us understand the root of our problems and their solutions. No charge. Kadampa Meditation Center Arizona, 5326 E Pima St. 520-441-1617. Meditation InTucson.org.

Paramahansa Yogananda Teachings – 1011:30am. Come chant and meditate for at our Meditation Center on the 1st and 3rd Saturday. On the 1st and 3rd Sunday we stream a Sunday Service at noon. No charge. Ananda Tucson Meditation Center. 1002 E. Prince Rd. AnandaTucson.org.

New Mind, New World: Buddhist Philosophy and Meditation for Daily Life – 10-11:15am. Buddhist teachings and meditation to help us understand the root of our problems and their solutions. No charge. Kadampa Meditation Center Arizona, 5326 E Pima St. 520-441-1617. MeditationInTucson.org.

Center for Spiritual Living Tucson Sunday Celebration Service – 11am-12:15pm. With Rev. Rhonda Tretsven. An inclusive spiritual alternative offering spiritual solutions to everyday challenges. Meditation: 10:30am. By donation. CSL Tucson @ Live Theater Workshop, 3617 N Camino Blanco. 520-319-1042. CSLT911@gmail.com. TucsonCSL.org.

Yogananda message from Ananda Village –11-1:30am. Second and fourth Sunday. Streaming of Live Sunday Service from California. The Teachings of Yogananda are shared by different Nayaswamis each Sunday. No charge. Ananda Tucson Meditation Center, 1002 E Prince Rd. AnandaTucson.org.

Church of Mankind Services – 2-3:30pm. Services every Sunday at 2pm and Thursday at 7:30pm. We have scripture, laying on of hands healing and Holy Spirit Communication in every service. Church of Mankind, 1231 S Van Buren Ave.

Book Signing – 2-4pm. Third Sunday. Meet local authors and discuss their latest books. Signed copies will be available for sale. No charge. Revolutionary Grounds Books and Coffee, 4675 E Speedway Blvd. 520-683-4494. ArizonaBookPublishing.com.

Women’s Buddhist Meditation Group –4-5:15pm. Women gathering to share readings from Buddhist women authors, a 20-minute silent meditation and discussion. Unity of Tucson, 3617 N Camino Blanco, Rm #2 in Annex Bldg. UnityTucson.com.

Open Floor Movement – 4-5:30pm. Fourth Sunday. There are no steps to learn and no experience required. Bringing water is recommended. Many people dance barefoot, or wear soft, flexible shoes. $15 per person. Tucson Center for Creative Dance, 3131 N Cherry St. OpenFloor.org.

Govinda's Sunday Feast and Bhakti Program –5:30pm. 7pm ten-course feast. Govinda’s Hare Krishna temple and vegetarian restaurant hosts a wonderful program. No charge. Govinda’s Natural Foods, 711 E Blacklidge. 520-792-0630. GovindasOfTucson.com.

Love is the only force capable of transforming an enemy into a friend.
—Martin Luther King, Jr.

Monday

Meaning & Mortality Creative Conversation and Tucson Friendly & Fearless Death Café: In-person – 4:30-7pm. First Monday. Safe, respectful Death Cafe conversations aim to increase awareness of death. Hosted by Isabel Amorous. No charge. Ward 2, 7820 E Broadway. Facebook.com/TucsonDeathCafe.

Real Talk about the Big “C” Support Group – 6pm. First and third Monday. Cancer survivor Brooklyn is hosting a cancer support group. Homemade cookies and beverages supplied. No charge. Transformational Medicine, 2028 East Prince Rd. Email BrooklynOferrin.tfmnd@gmail.com for more information. 520-209-1755. tfmnd.com.

Tuesday

Women of Wisdom – 11:30am-1pm. Second and fourth Tuesday. We are a group of women meeting in-person to grow spiritually, share laughter, tears and wisdom as we walk life’s path. By donation. Center for Spiritual Living Tucson, 3617 N Camino Blanco, Annex Rm 3. 520-319-1042. CSLTucson.org.

Book Study “The Essence of the Bhagavad Gita” – 4pm. On Zoom. Contact: Evey at 520697-5982. No charge. Ananda Tucson Meditation Center, 1002 E. Prince Rd. AnandaTucson.org.

Buddhist Meditations & Practices for the Modern World – 6:30-7:45pm. Buddhist teachings and meditation to help us stop the causes of suff-ering. No charge. Kadampa Meditation Center Arizona, 5326 E Pima St. 520-441-1617. MeditationIn Tucson.org.

Taizé Service – 6:45-7:30pm. First Tuesday. Taizé is a service of prayer, music, readings and silence. Contact Steve: 520-400-2137. No charge. St. Michael’s Episcopal Church, 602 N Wilmot Rd. SJTucson@aol.com

Death, Dying, Near Death Experiences and Thoughts About the Afterlife – 7-8:30pm. First, third and fifth Tuesday. Join David Swift for a biweekly Zoom discussion. No charge. Zoom link email ArizonaParanormalTimes@gmail.com or text 520-683-4494.

Wednesday

All-levels Yoga Class – 9-10am. Harrison Hills Mobile Park, 4675 S Harrison Rd. Must register to receive gate code via text. $11 drop-in. Register: BlissfullyBe.com.

Virtual Tucson Friendly & Fearless Death Café – 10-11:30am. First Wednesday. Safe, respectful Death Cafe conversations aim to increase awareness of death. No agenda, counseling, or therapy. No charge. Visit Facebook.com/Tucson DeathCafe for Zoom link.

Ai Chi with Connie Seddon – 10-11:15am. Guided aquatic moving meditation. Calms thoughts and nerves, gently stretches muscles, improves balance, range of motion and energy, while standing in 96 degree saltwater indoor pool. $20/class. Santa Rita Springs, 2301 N Santa Rita Ave. Register: 520-245-6616 or ConnieSeddon@gmail.com. SantaRitaSprings.com.

Aquacize with Rebecca Lennon – 12-1:15pm. Join us in a 96-degree private indoor salt water pool for a safe, head to toe aquatic workout focusing on strength, balance and joint mobility. Free trial class. $200/8 consecutive classes. Santa Rita Springs, 2301 N Santa Rita Ave. Register: 520-444-8636 or B43Lennon@aol.com. SantaRitaSprings.com.

Last Wednesday of the Month Online Meditation – 6-7pm. Join us for an online guided meditation. Monthly sessions will practice the core exercises from the Realization Process and will allow time for questions. Registration required. No charge. BirdsEyeWisdom.com.

Kirtan & Mantra – 7-8pm. Chant sacred Sanskrit mantras, accompanied by harmonium and tabla. Led by musician and instructor Kasey Gopala, these accessible weekly kirtan sessions uplift well-being. $20, suggested donation. The Yoga Connection, 3929 E Pima. 520-323-1222. YogaConnection.org.

Thursday

Last Thursday of the Month In Person Meditation – 12-12:50pm. These sessions will practice the core exercises from the Realization Process and will allow time for questions. Meditations are open to everyone. Registration required. No charge. Tensegrity Physical Therapy & Wellness, 5501 N Oracle Rd, Ste 101. BirdsEyeWisdom.com.

Community Clinic Acupuncture – 5-8:15pm. This is a great way to try acupuncture out for the first time or to add additional treatments to your plan. $10. Arizona School of Acupuncture & Oriental Medicine, 2856 E Fort Lowell. 520795-5999. ASAOM.edu.

Yin Yoga Class – 7-8pm. Waterfall Yoga believes in a holistic approach that incorporates nature, sound healing, meditation, breathwork and physical postures to bring balance to your body. $20 per person. Waterfall Yoga, 3460 W Peterson Pl. 520-275-1915. WaterfallYoga.net.

Friday

Free Online Meditation – 9-9:30am. Learn simple techniques to help sustain a simple meditation practice, giving way to lasting calmness, a strong center, solution-consciousness and increased selfconfidence. No experience necessary. No charge. Registration required to receive access link. YogaConnection.org.

Tucson Paranormal Society Monthly Meeting – 5:30-8:30pm. Third Friday. With speaker Mitch Komro, a TAPS member with ‘Sonora Paranormal Investigations’ who will discuss ghost hunting in Tucson. No charge. Kettle Restaurant Meeting Room, 748 W. 22nd St, Starr Pass Rd. 520-6834494. TucsconParanormalSociety.com.

Tucson Paranormal Society Book Club –6-7pm. Second Friday. BYOB: bring your own book. Share with others what you are reading. No charge. Barnes & Noble Cafe, 5310 E. Broadway Blvd. Text to confirm: 520-683-4494. TucsconParanormalSociety.com.

Saturday

Simply Meditate. (En español también) 30-minute Guided Meditations – 10-10:30am. Guided meditations designed to lead to inner peace and mental clarity and to increase our love and compassion for others. No charge. Kadampa Meditation Center Arizona, 5326 E. Pima St. 520441-1617. MeditationInTucson.org.

Paramahansa Yogananda Teachings – 10-11:30am. Streaming of the Ananda Sunday Service. Chanting, Healing Prayer, with a 40-minute meditation. Also occurs on first and third Sundays at noon. Contact: Evey W at 520-697-5982. No charge. Ananda Tucson Meditation Center, 1002 E. Prince Rd. AnandaTucson.org.

Pranic Healing Clinic – 10am-12pm. Second Saturday. MCKS Pranic Healing is a no-touch, painless healing art that aids ailments like asthma, arthritis and depression and helps the body heal naturally. All welcome.No charge. Udall Park Activities and Community Center, 7290 E. Tanque Verde Rd. PranicHealing.com.

Mini Psychic Fair – 10am-1pm. First Saturday. We offer a variety of spiritual readings. Seashells, egyptian sand, rocks, abstract art, sparkle, psychometry and tea readings. All proceeds go to the Church. Radings are by donation. Church of Mankind, 1231 S Van Buren Ave.

Tucson Metaphysics Fair – 10am-4pm. Fourth Saturday. Fourth Saturday. Mediums, psychics, angelic and tarot, astrology, palm reading, divination, reiki and much more. Prices vary. Mystic Cavern Metaphysical, 6546 E 22nd St. 520-4056062. TucsonMetaphysicsFair.com.

Aquacize with Rebecca Lennon – 12-1:15pm. 96-degree private indoor salt water pool for a safe, head to toe aquatic workout, focusing on strength, balance and joint mobility. Free trial class. $200/8-consecutive classes. Santa Rita Springs, 2301 N Santa Rita Ave. Register: 520-444-8636 or B43Lennon@aol.com. SantaRitaSprings.com.

Health & Wellness DIRECTORY LISTINGS

All year long, Natural Awakenings brings you the latest information and resources available for natural health, nutrition, personal growth, green living, fitness and creative expression. We are pleased to offer this special edition, including Wellness Dream Team Practitioner Profiles on page 18, local Business Spotlights on page 25 and an all-encompassing Directory. Our extensive, Health & Wellness Guide can support you in leading a healthy, happy and balanced lifestyle. Dive into the wealth of knowledge and inspiration within these pages to enhance your well-being.

Acupuncture

ARIZONA SCHOOL OF ACUPUNCTURE & ORIENTAL MEDICINE

2856 E Fort Lowell Rd, 85716 520-795-5999 • ASAOM.EDU

Traditional Chinese Medicine is one of the fastest growing health professions today and joining integrative medicine worldwide. ASAOM offers four Masters level Programs. Come experience clinical treatments at affordable prices. Learn about Acupuncture, Bodywork, Cupping, Guasha, Chinese Herbs and Nutrition.

CATALINA ACUPUNCTURE

Nathan Anderson, LAc 3208 E Fort Lowell Rd, Ste 106, 85716 520-999-0080

CatalinaAcupunctureTucson.com

Nathan Anderson, LAc treats chronic and acute pain and illness. In addition to his practice, Nathan is faculty at the Arizona School of Acupuncture and Oriental Medicine and fellowship faculty with the Andrew Weil Center for Integrative Medicine. Insurance Accepted. See ad, page 16.

ORACLE ACUPUNCTURE

Rani Flinn LAc., MSOM 15615 N Oracle Rd, Suite 135, 85739 520-777-0608 • OracleAcupuncture.com

Oracle Acupuncture provides medical solutions to a variety of conditions: back pain, sciatica, peripheral neuropathy, digestive issues, neck pain, arthritis, weight-gain, hair loss, numbness, tingling and acute/chronic injuries. Also available: Injection Therapy, Frequency Specific Microcurrent, Tuina & CranioSacral Therapy, Chinese Herbs, Halotherapy/Salt-Room.

Aesthetics & Medspa

PAMPERED SKIN & SOUL STUDIO

Suzanne Pear, RN PhD, LE COE CQH 5160 E Glenn St, Ste 150, 85712 520-400-8109 • PamperedSkinStudio.com

If you believe less is more, Dr. Suzie (PhD in Epidemiology) is the Nurse-Aesthetician for you. She provides customized nature-based, holistic skin rejuvenation therapies for all skin types, ethnicities and sensitivities while educating you about your skin concerns and care. See ad, page 23.

Aging and Spirituality

LEGECY INSTITUTE

Jay McCall, Author/Speaker 520-909-9375 • Jay@JayMcCall.com

Presentations available for groups on spiritual solutions to the challenges of aging. The personal journey of aging is best met with reflection and courage. Reflecting on a new life cycle of aging gains new purpose and meaning. The results are a sense of happy well-being and fulfillment. Schedule a presentation for a group to which you belong, volunteer or lead.

Alternative Health

LINDA JOHNS

Healing Practitioner

520-825-4645 • JourneyToHealing.com

The Bio Harmonic V.I.B.E.S Bed uses sound, frequency and vibration to help release inflammation, cellular stress and old trauma memories allowing the body, mind and parasympathetic nervous system a chance to relax and reset from old fight, flight and freeze responses. Average hour session and fully clothed.

Animal Communication

ANN MARIE HOFF

Animal Communicator, Intuitive Medium, Angel Channel, Artist 520-349-3909 • AnnHoff.com

As an Animal Communicator Ann can help you with behavioral issues with your pet, lost pets, end of life decisions, medical decisions & getting to know your pet better! She can also connect you with loved ones & pets on the other side.

LINDA JOHNS

Animal Communicator, Healing Practitioner

520-825-4645 • JourneyToHealing.com

For 30 years Linda has been the voice of animals worldwide bringing clarity and insight into Emotional, Behavioral, Health, History and Quality of Life concerns. Energy healing and Flower Essences often complement the session.

Health & Wellness

Animal Communication

LINDA JOHNS

Animal Communication & Intuitive Healing Classes

520-825-4645 • JourneyToHealing.com

Teaching animal communication since 1998. Zoom Classes in Animal Communication, Chakra Healing and Animal Behaviors, Energy Healing for Pets, Animals Jobs, Roles & Identities, Power Animals & Spirit Communication. Check the website calendar for class listings.

Art and Creativity

THE ARTIST AT LARGE Valerie Kravette VAFK@yahoo.com • The-Artist-At-Large.com

Unleash the artist within! Valerie Kravette offers soulful coaching and classes that integrate creativity and spirit. With Intentional Creativity, SoulCollage, SHIFT-IT Visual Coaching and more, transform your life online or in Tucson. Rediscover your creative power!

Aromatherapy and Ayurveda

GUADALUPE

SANTILLAN

Remi Therapeutic Bodywork 1735 E Ft. Lowell Rd, Ste 4, 85719 GSantillan@AromaTherapyCreations.com

Guadalupe Santillan, Certified Aromatherapist and Ayurveda Wellness Consultant, addresses physical, emotional and mental issues like stress, anxiety, pain and digestion. Discover your dosha constitution and create a personalized treatment plan with essential oils, lifestyle, nutrition, herbs and mindfulness. Email to schedule Sunday/Monday 8am-5pm.

Ashiatsu

BRYANT DIETRICK, LMT

6522 E Carondelet Dr, Bldg C, Ste B 85710 520-449-7581 • Bradeazy@gmail.com

Ashiatsu massage is a unique technique where therapists use their feet to apply deep pressure to your body. It’s often called a barefoot massage. Allows the deep tissues joints and muscles to be massaged while easing the nervous system. This technique feels like a mesmerizing massage with deep, broad, pressured strokes and no pain. First session just $60. See ad page 10.

Aqua Therapy

SANTA RITA SPRINGS

Dorothy Richmond, LMT since 1983 2301 N Santa Rita Ave, 85719

Aquatic Massage • Jin Shin Jyutsu Craniosacral Therapy • Watsu Integrative Massage 520-990-1857 • SantaRitaSprings@gmail.com

Water is life… 80-minutes of Bliss. Immersed in heavenly 96-degree saltwater inside our poolhouse, receive massage, shiatsu, energy work, great stretches, flowing movement and maybe Aquatic Craniosacral Therapy to deliciously unwind trauma and strain patterns. See ad, page 16.

Bodywork

SYLVIA BOYED

6979 E Broadway Blvd, Ste 109, 85710 520-370-3689 • SylviaBoyed.com

Sylvia Boyed, MA, VMT, CST. Now welcoming new clients. Restorative bodywork and energetic healing for physical and emotional well-being. 14+ years experience in energetically applied visceral manipulation and craniosacral therapies. Specializing in treatment of head injuries, tinnitus and post-surgical rehabilitation. See ad, page 10

KEN READER, LMT, RYT

The Right Touch Massage Therapy 3958 E Fort Lowell Rd, 85712 520-230-9103

RightTouchMassageTherapy.com

Experienced Pain Relief therapist and wellness provider with 25 years as Reiki/Cranial therapist. Shiatsu, Thai and Manual Lymphatic massage. Facial massage: jade rolling, gua sha with cold jade tools, facial cupping and facial acu points. Also offering yoga privates, text 520-230-9103.

Brain Health

NORTHSTAR HYPERBARIC

Dr. Carol Henricks, MD 7598 N La Cholla Blvd, 85741 520-229-1238 • NorthStarHBOT.com

Hyperbaric oxygen therapy (HBOT) saturates the body with oxygen, reducing inflammation and enhancing recovery from central nervous system injury including: traumatic brain injury, post-concussion syndrome, stroke, multiple sclerosis, cerebral palsy, birth injury, autism, spinal cord injury, near drowning, anoxic brain injury and other conditions.

Classes

LINDA JOHNS

Reiki Master Teacher, Healing Practitioner, Animal Communicator 520-825-4645 • JourneyToHealing.com

Linda creates a welcoming, inclusive space, empowering individuals to explore their unique talents. Offerings include Zoom classes, weekly/ monthly series like 5-D Living and courses in Animal Communication, Intuitive Development, Energy Wisdom, Tuning Fork Sound Healing and Reiki. Visit JourneyToHealing.com

Cleaning Services

PURMAID

520-331-2629

PurmaidTucson@gmail.com • PurMaids.com

PurMaid LLC provides professional green cleaning services to Tucson homes and businesses. Locally owned and operated. Special offer: $50 off initial cleaning. See ad for details. See ad, page 39.

Coaching, Counseling & Guidance

ARMORLESS BODY THERAPIES

Randy Usem, LMT, Radix Practitioner Near Campbell & Grant 520-312-9563

TucsonEmotionalAndTraumaTherapy.com TucsonMassageAndBodyTherapy.com

Affordable alternative or a ddition to traditional therapy. Radix is a neo-Reichian, deep feeling, regressive process similar to bio-energetics and primal therapy. Exploring with breath, body awareness, centering and grounding to access anger, fear, grief, longing and restore love, trust, pleasure, fulfillment and aliveness.

BLISSFULLY BE HOLISTIC WELLNESS

Shawna Roberts, NBC-HWC, LMT, RYT-200 421 N Schrader Ln, 85748 520-216-5699 • BlissfullyBe.com

Shawna believes in connecting clients with their values to enable behavior changes towards a healthier lifestyle, especially surrounding food. Everybody has to eat. Food can either be medicine or it can be poison, the choice is yours.

HEARTSPACE BY ROSIE MAC

Christchurch, New Zealand

Rosiemac.nz/coaching-services Rosie@RosieMac.nz

Certified Intuitive Coach, Rapid Results & Mindset Coach. Unlock Your Potential with Rosie Mac as she empowers you to break free from limitations and step into your best life. Offering 1:1 and group coaching (online) to help you achieve rapid change and lasting transformation.

IT'S TIME FOR MOXIE

Deb Beroset

312-436-2160 • Deb@ItsTimeForMoxie.com ItsTimeForMoxie.com

Tired of playing small? Moxie coaching blends neuroscience-backed and womancentered coaching with deep creativity and personal transformation. Whether in one-on-one or group programs, you’ll reclaim confidence, creative spark and self-trust to shape a life that feels fully yours. Book a free intro call: MoxieTime. as.me/introductory-call. See ad, page 15.

ODYSSEY INTEGRATIVE WELLNESS

Michael Miller, NBC-HWC Virtually based • 520-222-7269 OdysseyIntegrativeWellness.com

Making a meaningful change in your life can feel overwhelming or impossible. Deciding on a starting point can evoke both challenges and possibilities. Identifying what matters most can help define the path forward. Take a dedicated wellness coach with you.

Cleaning Services

SAFI HOME WORKS

520-261-4521 SafiHomeworks.com

Safi Cleaners is a refugeepowered social enterprise. Safi uses only super-green, truly nontoxic cleaning agents to clean homes and a variety of commercial space. Some Safi clients are chemically sensitive; all Safi clients care about people and the Earth.

Colon Hydrotherapy

INTESTINAL HEALTH INSTITUTE

520-325-9686 • Intestines@SheilaShea.com @SheaColonics

Colon Hydrotherapy and Gut Nutrition, MA & LMT (FL & AZ), 45-year practice using closed system and abdominal massage. Board certified and member of International Association for Colon Hydrotherapy (IACT). Provides expertise on metabolic health, food addiction and gut motility. Certified Gut and Psychology/Physiology Syndrome (GAPPS) practitioner.

NEPTUNE UP

Kerry Lane 2545 E Broadway Blvd, 85716 520-257-0563 • Hi@NeptuneUp.com

Neptune Up is Tucson's premier gravity colonic studio! This is the most gentle and natural method for colon cleansing—no electric pressure machines, no plastic. The custom designed system is excellent for improving digestive hygiene, allowing the body to comfortably release stagnant waste. Feel at ease to release, lighten up and let go!

VERY SPECIAL ALTERNATIVES

Vonnie Schultz Albrecht, RN 2028 E Prince Rd, Rm 9, 85719 520-403-1686

VerySpecialAlternatives@gmail.com VerySpecialAlternatives.net Heal.me/Vonnie-Schultz-Albrecht-RN

RN-delivered colonics. FDAapproved system integrated with a full, closed-gravity option. Infrared Therapy included! Probiotic reflorastation and ozone therapies available. Warm, supportive healing environment. Affordable rates and packages. By appointment, flexible hours. Free 15-minute consult! See ad, page 13.

Community for Women

IT'S TIME FOR MOXIE

Deb Beroset

312-436-2160 • Deb@ItsTimeForMoxie.com ItsTimeForMoxie.com

Club Moxie is a soulful, high-vibe online community for women ready to live boldly. Rooted in woman-centered coaching, creativity and modern tribe-building, it’s where deep connection meets personal expansion. Join before doors close! Use code NAMAG for a free month: ItsTimeForMoxie.com/club-moxie. See ad, page 15.

Dental Insurance

LIFE SOLUTIONS ADVISORS OF AMERICA

Holly Baker, Retirement Specialist PO Box 69820, Oro Valley, 85737 520-760-2378 • Holly@LifeSolutionsAdvisors.net Providing Solutions for Your Retirement

With dental insurance, you can prioritize your oral health, save money on routine and emergency dental care and enjoy peace of mind knowing that you’re covered in case of unexpected dental issues. Robust plans available at reasonable rates. Book an appointment today! Call/email now to review your Medicare plan for 2024. See ad, page 7.

Dentistry

E DENTAL SOLUTIONS

Elahe Wissinger, DMD 2810 N Swan Rd, Ste #100, 85712 520-745-5496 • Info@EDentalSolutions.net EDentalSolutions.net

Our mission is to build a partnership to achieve optimal dental health. The state-of-the-art technology, attention to our clients’ needs and commitment to continuing education ensure that our clients receive the highest quality care, in a safe and comfortable environment. See ad, back cover.

SHEA DENTAL

Dr. Josh Raiffe, DMD, AIAOMT 11111 N Scottsdale Rd, Ste 120, Scottsdale 480-998-3923 • SheaDentalAZ.com

Shea Dental offers holistic dentistry led by Dr. Josh Raiffe, DMD, AIAOMT Accredited. Using advanced technology like CEREC milling, digital impressions, Wand anesthesia, cone beam CT scanning and SMART mercury filling removal, Dr. Raiffe ensures safe dental practices. Services include implants, veneers and sleep apnea treatments. Accepts most dental insurance. See ad, page 3.

TUCSON BIOLOGICAL DENTISTRY

Jeanne Anne Krizman, DMD, MPH 1601 N Tucson Blvd, Ste 35, 85716 520-326-0082 • Smile@KrizmanDental.com

A centrally located biologic and integrative dental office with Tucson’s only International Academy of Oral Medicine and Toxicology accredited dentist. Specializing in general and cosmetic dentistry, mercury-free fillings, safe amalgam removal, implants, extractions, cavitation treatment and ozone therapy. Call for appointment today. See ad, page 2.

Earthing

TRU47

800-915-6147 • TRU47.com

Sharon Whiteley is a serial entrepreneur passionate about wellness trends. As a merchant and innovative manufacturer, she specializes in silver-based products for grounding and EMF protection, available direct to consumers at TRU47.com. Wholesalers and practitioners are welcome.

Electromagnetic Wellness

EMF WELLNESS TUCSON

Lisa Smith, PhD, EMRS

Certified Building Biology

Electromagnetic Radiation Specialist 130 E Congress St, Ste 200-110 Info@EMF-Wellness.com • EMF-Wellness.com

“Electromagnetic safety for a healthy life”

EMF Wellness helps keep Tucson’s homes, schools and work-places safe from unhealthy levels of electromagnetic fields (EMFs). We offer professional EMF assessments with emphasis on reducing exposure to rising levels of microwave radiation from wireless devices and cell towers. Assessments include EMF education and mitigation counseling. See ad, page 11.

EMF Protection

TRU47

800-915-6147 • TRU47.com

Sharon Whiteley is a serial entrepreneur passionate about wellness trends. As a merchant and innovative manufacturer, she specializes in silver-based products for grounding and EMF protection, available direct to consumers at TRU47.com. Wholesalers and practitioners are welcome.

Emotional Freedom Technique - EFT

MARIA KINGSLEY

EFT Practitioner, Certified Hypnotherapist 520-780-0170 • KadaKingsley@msn.com Maria-Kingsley.com

Emotions run high in many people right now. Do you need help in coping with life? Emotional freedom is just that: an easy tool to deal with upsetting circumstances, anxiety, fears andsickness. It combines energy therapy and psychology to eliminate and reduce emotions. Affordable and necessary.

Energy Healing

LINDA JOHNS

EFT, PSYCH-K, EMOTION CODE, DECU, OM CODES, Reiki Master 520-825-4645 • JourneyToHealing.com

Linda listens to your body’s wisdom, channels your Divine guides and light language, reads cellular programs and subconscious belief patterns to quickly unravel many layers to help you transform old stories into higher frequencies of health and wellness. Many feel results after one session.

Energy Work

ENERGETIC SYSTEM RE-BOOT Suzanne Pear, RN PhD, LE COE CQH 5160 E Glenn St, Ste 150, 85712 520-400-8109 DoctorSuzie@PamperedSkinStudio.com

Dr. Suzie (PhD in Epidemiology) is a Registered Nurse and Quantum Energy Practitioner offering chakra energy system realignment and balancing as well as auric field clearing, forgiveness and self-healing practices. Call 520-400-8109 to schedule an Energetic Assessment. See ad, page 23.

Unless someone like you cares a whole awful lot, nothing is going to get better. It’s not.

Functional Medicine

TUCSON VALLEY FUNCTIONAL MEDICINE

Dr. Shannon Bybee-Driscoll 6831 N Oracle Rd, 85704 520-815-3066 • TVFunctionalMedicine.com

As a patient of Dr. Shannon Bybee-Driscoll, some of the lifestyle modifications and treatment modalities you may benefit from include: Sleep health improvement, Nutrition counseling, Exercise therapy, Stress management programs, Peptide therapy, Hormone balancing, Frequency-specific microcurrent therapy, Natural detox.

Health & Wellness

ALLEN OWENSBY HEALTH AND WELLNESS COACHING

Allen Owensby RN BSN Nurse Coach-Board Certified 828-545-6160 • Facebook.com/alleno15

Ready to take control of your health and mind? I offer expert coaching in disease prevention, breathwork, trauma healing and accountability. With a strong medical background, I blend Eastern and Western medicine to support lasting wellness. Call for a free session!

Healthy Home

EMF WELLNESS TUCSON

Lisa Smith, PhD, EMRS Certified Building Biology Electromagnetic Radiation Specialist 130 E Congress St, Ste 200-110 Info@EMF-Wellness.com • EMF-Wellness.com “Electromagnetic safety for a healthy life”

EMF Wellness Tucson provides Electromagnetic Field (EMF) assessments and mitigation counselling, specializing in the creation of EMF-safe bedroom sleep sanctuaries. Services include measurement of electric fields, magnetic fields, dirty electricity and radio frequency radiation from wireless devices and cell towers. See ad, page 11.

—Dr. Seuss, The Lorax

PURMAID

520-331-2629

PurmaidTucson@gmail.com

PurMaids.com

PurMaid LLC provides professional green cleaning services to Tucson homes and businesses. Locally owned and operated. Special offer: $50 off initial cleaning. See ad for details. See ad, page 39.

Holistic Health

TANIA MORRIS, BCNHC, CCI

Optimum Health Solutions Tucson

Board Certified Natural Health Coach & Certified Iridologist 206-734-7003

OptimumHealthTucson.com

OptimumHealthTucson@icloud.com

Providing Natural Health Coaching & Iridology Assessments to help you uncover the root cause of your health issues. Offering personalized, easy to follow holistic wellness & detox plans with dedicated support to help you reach your health goals with ease.

VERY SPECIAL ALTERNATIVES

Vonnie Schultz Albrecht, RN 2028 E Prince Rd, Rm 9, 85719 OR your space/home • 520-403-1686

Nurse@VerySpecialAlternatives.net

VerySpecialAlternatives.net Heal.me/Vonnie-Schultz-Albrecht-RN

What or who do you need? RN consultant •assessment, information, referral. Skilled nursing • phlebotomy, IV therapy, home services. Education • gentle, easy detox protocols, colon health, ozone therapies and resources. By appointment, flexible hours. Free 15 minute consult! See ad, page 13.

Hormone Replacement Therapy

INNOVATIVE

WELLNESS OF TUCSON

Ronald Zack, FNP 6630 E Carondelet Dr, 85710 520-496-4649 • InnovativeWellnessOfTucson.com

Offering personalized alternative and integrative therapies tailored to optimize hormone levels and enhance overall health for both men and women. Ronald Zack is a certified Advanced BioIdentical HRT Provider available for phone and in-person consultations. See ad, page 9.

Hyperbaric Oxygen Therapy

NORTHSTAR HYPERBARICS

Dr. Carol Henricks, MD 7598 N La Cholla Blvd, 85741 520-229-1238 • NorthStarHBOT.com

Hyperbaric oxygen therapy (HBOT) saturates the body with oxygen, reducing inflammation and enhancing recovery from central nervous system injury including: traumatic brain injury, post-concussion syndrome, stroke, multiple sclerosis, cerebral palsy, birth injury, autism, spinal cord injury, near drowning, anoxic brain injury and other conditions.

Invisalign

E DENTAL SOLUTIONS

Elahe Wissinger, DMD 2810 E River Rd, 85718 520-745-5496 • Info@EDentalSolutions.net EDentalSolutions.net

Looking to fix your bite issues but avoid the “metal mouth” phenomenon? At E Dental Solutions, we can help you understand how to keep the aligners and your teeth clean and make it easy for you to fit into your best smile. See ad, back cover.

Longevity

TRU47

800-915-6147 • TRU47.com

Sharon Whiteley is a serial entrepreneur passionate about wellness trends. As a merchant and innovative manufacturer, she specializes in silver-based products for grounding and EMF protection, available direct to consumers at TRU47.com. Wholesalers and practitioners are welcome.

Massage

BLISSFULLY BE HOLISTIC WELLNESS

Shawna Roberts, NBC-HWC, LMT, RYT-200 421 N Schrader Ln, 85748 520-216-5699 • BlissfullyBe.com

Shawna is a licensed massage therapist with over 20 years of experience, as well as a level II reiki practitioner. She focuses on helping clients alleviate chronic pain through various modalities to create space in the body and allow for greater ease of movement.

BRYANT DIETRICK, LMT

6522 E Carondelet Dr, Bldg C, Ste B 85710 520-449-7581 • Bradeazy@gmail.com

Bryant facilitates healing by thoroughly working soft tissue with deep tissue techniques offering such modalities as trigger point therapy, myofascial release, ashiatsu and barefoot shiatsu. See ad page 10.

SANTA RITA SPRINGS

Dorothy Richmond, LMT since 1983 2301 N Santa Rita Ave, 85719 Aquatic Massage • Jin Shin Jyutsu Craniosacral Therapy • Watsu

Integrative Massage 520-990-1857 • SantaRitaSprings@gmail.com

Water is life… 80-minutes of Bliss. Immersed in heavenly 96-degree saltwater inside our poolhouse, receive massage, shiatsu, energy work, great stretches, flowing movement and maybe Aquatic Craniosacral Therapy to deliciously unwind trauma and strain patterns. See ad, page 16.

Massage Therapy Training

VALORI INSTITUTE OF MASSAGE 1527 N. Wilmot Rd, 85712 520-528-9404 • ValoriEd.com

Valori Institute of Massage is Arizona’s best choice for massage therapy training. Accredited by COMTA, Valori offers a hybrid 700-hour program providing students with foundational skills that prepare them for a new career in as little as 8 months! Full scholarship and payment plans are available. See ad, page 11.

Medical Intuitive

RAIN (DANIELLE) DVORAK

847-323-9188 • Danielle@Replevyn.com Replevyn.com

Rain is a trained and certified Medical Intuitive Practitioner (CMIP, ThePractical Path, Tujunga, CA). Medical Intuition utilizes clairvoyance andthe other intuitive senses to view the physical body and unique energy systems of living beings. See ad, page 9.

Medicare Support

LIFE SOLUTIONS ADVISORS OF AMERICA

Holly Baker, Retirement Specialist PO Box 69820, Oro Valley, 85737 520-760-2378 • Holly@LifeSolutionsAdvisors.net Providing Solutions for Your Retirement

As your trusted independent advisors, we work with most Medicare carriers and companies to best serve your needs and preferences. Call/email now to review your Medicare plan. See ad, page 7.

Meditation

THE YOGA CONNECTION

3929 E Pima, 85712 520-323-1222 • Yoga@YogaConnection.org YogaConnection.org

The Yoga Connection, a non-profit center, serving Tucson over 35 years, offers all levels of yoga and specialized classes. We offer Yoga teacher training leading to 200-hour and 300hour certification. Ask about scholarships and payment options.

Naturopathic Medicine

DR. DEEANN SABER, NMD

Transformational Medicine 2028 E Prince Rd, 85719 520-209-1755 • TFMND.com

Dr. Saber is a primary care naturopathic physician who specializes in endocrinology and functional medicine. Using science-based information as well as your personal symptoms, we will together find the best way to optimal health. See ad, page 35.

DR. EMILY TAKEUCHI-MILLER, NMD

Transformational Medicine

2028 E Prince Rd, 85719 520-209-1755 • TFMND.com

Dr. Emily Takeuchi Miller, or “Dr. Em” as she prefers, enjoys seeing patients of all ages and is committed to helping them live well no matter what their current condition. Her special interests include primary care medicine, pediatrics and Mind-Body medicine/biofeedback. See ad, page 35.

WHOLISTIC FAMILY MEDICINE

Dr. Lance Morris 2310 N Wyatt Dr, 85712 520-322-8122 • WFMedicine37@gmail.com ResonantSoundTherapy.com

Dr. Morris treats all conditions, pediatric through geriatric, emphasizing “nature cure” to heal mind, body and spirit. Developer of Resonant Sound Therapy. See website for more information. See ad, page 39.

Pain Relief

ORACLE

ACUPUNCTURE

Rani Flinn LAc., MSOM 15615 N Oracle Rd, Suite 135, 85739 520-777-0608 • OracleAcupuncture.com

Oracle Acupuncture provides medical solutions to a variety of conditions: back pain, sciatica, peripheral neuropathy, digestive issues, neck pain, arthritis, weight-gain, hair loss, numbness, tingling and acute/chronic injuries. Also available: Injection Therapy, Frequency Specific Microcurrent, Tuina & CranioSacral Therapy, Chinese Herbs, Halotherapy/Salt-Room.

Pediatric Integrative Medicine

ANA TANASE, MD, ABOIM

TMC One La Canada Office 10390 N La Cañada Dr, Ste 110, 85737 520-420-2110

tmcaz.com/tmc-one/our-providers/ana-tanase

Holistic pediatrician, board certified in pediatrics and Integrative Medicine, provides integrative medicine consults, primary care services, second opinions. Visits include personalized nutrition plan, lifestyle counseling, supplements, functional medicine testing, mind body medicine teachings. Accepts most insurances, appointments available online and by phone

Permanent Jewelry & Makeup

A LASTING TOUCH SALON AT TRANSITIONS HAIR STUDIO

Yvette Dwornik • 520-869-5593

Sarah Dwornik-Olivo • 520-869-4040

7163 E Broadway, 85710

ALastingTouch.com

TransitionsHairStudio.com

LovelyLinksPermanentJewelry.com

New location. Offering Hair, Permanent Make Up and Permanent Jewelry at beautiful, remodeled eastside location. Broadway at Kolb next to DSW. $50 off any new permanent make up service. $20 off new lashes. See ad, page 10.

Personal Growth & Development

LINDA JOHNS

Quantum Coach, PSYCH-K, Emotion Code Healing Practitioner 520-825-4645 • JourneyToHealing.com

For over 30 years Linda has used her natural intuitive abilities, clairvoyant insights and compassion to support over 15,000 human and animal clients. Free yourself from emotional looping and old subconscious patterns. Clients often feel better or lighter after one session.

Research

GREEN MOUNTAIN HEALTH CARE/ EXPAND HEALTH RESEARCH

Dr. Caitlin Connor 1775 W St Mary's Rd, Ste 111, 85745 520-609-1766 • ExpandHealthResearch.com

We invite you to explore research studies. If you have an interest give us a call, and we will set up a time when you can tour the lab. We look forward to seeing you in the future! See ad, page 33.

Retreats

IT'S TIME FOR MOXIE

Deb Beroset

312-436-2160 • Deb@ItsTimeForMoxie.com ItsTimeForMoxie.com

Craving deep renewal? Moxie retreats weave together creativity, artistic rituals, mysticism and woman-centered coaching in stunning settings. Reconnect with your power, radiance and vision alongside kindred spirits. “Truly transformational and exquisite,” says an attendee. View upcoming retreats: ItsTimeForMoxie.com/retreats. See ad, page 13.

LINDA JOHNS

Healing Practitioner

520-825-4645 • JourneyToHealing.com

Linda is hosting one-day Restorative Healing Retreats in Tucson, featuring morning personal growth exercises. A healthy buffet lunch is provided, with community and nature. The afternoon offers diverse healing stations for body, mind and spirit. Visit the website for dates.

Salt Therapy

ORACLE ACUPUNCTURE

Rani Flinn LAc., MSOM 15615 N Oracle Rd, Suite 135, 85739 520-777-0608 • OracleAcupuncture.com

Oracle Acupuncture provides medical solutions to a variety of conditions: back pain, sciatica, peripheral neuropathy, digestive issues, neck pain, arthritis, weight-gain, hair loss, numbness, tingling and acute/chronic injuries. Also available: Injection Therapy, Frequency Specific Microcurrent, Tuina & CranioSacral Therapy, Chinese Herbs, Halotherapy/Salt-Room.

Skin Care

PAMPERED SKIN & SOUL STUDIO

Suzanne Pear, RN PhD, LE COE CQH 5160 E Glenn St, Ste 150, 85712 520-400-8109 • PamperedSkinStudio.com

Sleep

TRU47

800-915-6147 • TRU47.com

Sharon Whiteley is a serial entrepreneur passionate about wellness trends. As a merchant and innovative manufacturer, she specializes in silver-based products for grounding and EMF protection, available direct to consumers at TRU47.com. Wholesalers and practitioners are welcome.

Social Media

PREMIERE SOCIAL MEDIA

Shyla Collier, Owner and Author

1930 S Alma School Rd, Ste #B104, Mesa, 85120

PremiereSocialMedia.com

Premiere Social Media is a Digital Marketing Agency that has been helping business owners grow nationwide for 11 years. It is owned by Amazon Best-Selling Author Shyla Collier, who has 18 years of marketing experience. Premiere specializes in Social Media Management and Training, Content Creation, Website Design, Graphic Design and SEO.

Somatic & Expressive Arts Therapy

TUCSON SOMATIC

PSYCHOTHERAPY AND DOUBLE VAJRA SOMATIC ARTS

Leslie McCormick, MA, LPC, R-DMT 469 S. Convent Ave, #1, 85701 520-243-0200 TucsonSomaticPsychotherapy.com

Dr. Suzie (PhD in Epidemiology) specializes in providing customized holistic skin care treatments for all skin types and concerns. Make an appointment today and start on your path to creating beautiful skin for life. See ad, page 23.

Leslie McCormick, MA, LPC, R-DMT provides somatic psychotherapy, dance/movement therapy, Authentic Movement, embodied creativity and mindfulness-based growth services in both individual and group settings. She specializes in trauma resolution, creative blocks, embodied spirituality and healing developmental wounds.

Sound Therapy

RAIN (DANIELLE) DVORAK

847-323-9188 • Danielle@Replevyn.com Replevyn.com

Relax and receive while your energy field is cleansed by antique Tibetan singing bowls, gongs and more in the Tibetan Sacred Sound Healing tradition. Rain is trained and certified through TibetanBowlSchool.com, and also a lifelong, classically-trained musician, intuitive empath and more. See ad, page 9.

WHOLISTIC FAMILY MEDICINE

Dr. Lance Morris

2310 N Wyatt Dr, 85712 520-322-8122 • WFMedicine@gmail.com ResonantSoundTherapy.com

Dr. Morris treats all conditions, pediatric through geriatric, emphasizing ‘”nature cure” to heal mind, body and spirit. Developer of Resonant Sound Therapy. See website for more information. See ad, page 39

Spiritual Teachings

CENTER FOR SPIRITUAL LIVING - TUCSON

Rev. Rhonda Tretsven

Sunday Service: 3617 N Camino Blanco, 85718 520-319-1042 • CSLT911@gmail.com TucsonCSL.org

A spiritual alternative. We offer spiritual solutions to everyday challenges. You can learn about us at TucsonCSL.org Celebration Service at 11am, Meditation at 10:30am. For information about our Sunday services please email CSLT911@gmail.com or call 520-319-1042. See ad, page 35.

ECKANKAR

The Path of Spiritual Freedom

1-877-300-4949 8 EckankarArizona.org Facebook.com/EckankarArizona Eckankar.org • HearHU.org

Eckankar is a spiritual path that redefines the experience of religion. Eckankar is based on direct personal experience, transcending philosophy and orthodox religion, offering practical ways we may have spiritual experiences—even the ultimate experience of God—in this lifetime

Make your physical surroundings as beautiful as possible.

Spiritual Teachings

TRANSFORMATIONAL WISDOM

Susan Sophia James Susan@TransformationalWisdom.com TransformationalWisdom.com

Weekly transformational classes and workshops offer spiritual awakening and higher consciousness through sound journeys, a Mystery School program, song medicine and ancient healing practices. These cultivate a deep inner connection for ourselves and the Earth, especially vital in times of uncertainty.

TUCSON ANANDA

MEDITATION CENTER

Evey Weissman

1002 E. Prince Rd, 85719 520-697-5982 • AnandaTucson.Org

Offerings - 1st & 3rd Sunday: 12pm - Ananda Sunday Service (live stream). 1st & 3rd Saturday: 10am - Chanting, Healing, Prayer, a 40 minute meditation. 4-5pm Tuesdays, Book Study “The Essence of the Bhagavad Gita” (Zoom). Contact Evey Weissman for more information. Joy to You!

Spirituality & Wellness

TENSEGRITY PHYSICAL THERAPY & WELLNESS

Carrie Rucker, PT, DPT 5501 N Oracle Rd, Ste 101, 85716 404-984-4256 • BirdsEyeWisdom.com

Working with the mind, body and nature to connect with our spirit, which is always present. Guided hikes, backpacking and meditation experiences, Craniosacral Therapy and training programs. Group classes and customized individual and small group offerings available.

Wellness Center

HEALING SPIRIT SOAKS

1074 N Swan Rd, 85711

520-344-3250 • HealingSpiritSoaks.com

Relax and recharge at our desert oasis with rejuvenating treatments like Infrared Sauna, Salt Scrub, Cedar Hot Tubs, Copper Cold Plunge, Amethyst Bio Mat, Herbal Soaks, Sound Healing, Reiki and Reflexology for ultimate stress relief and balance.

TRANSFORMATIONAL MEDICINE

DeeAnn Saber, NMD

Emily Takeuchi Miller, NMD

Zach Saber, LMP

Vonnie Schultz Albrecht, RN 2028 E Prince Rd, 85719 520-209-1755 • TFMND.com

We are like-minded healing professionals who have created a collaborative, patient-focused environment to provide healthy experiences for those ready to reach optimal health and wellness. See ad, page 35.

WINTERHAVEN HEALTH CENTER

Wellness Wear

TRU47

800-915-6147 • TRU47.com

Sharon Whiteley is a serial entrepreneur passionate about wellness trends. As a merchant and innovative manufacturer, she specializes in silver-based products for grounding and EMF protection, available direct to consumers at TRU47.com. Wholesalers and practitioners are welcome.

Yoga

BLISSFULLY BE HOLISTIC WELLNESS

Shawna Roberts, NBC-HWC, LMT, RYT-200 421 N Schrader Ln, 85748 520-216-5699 • BlissfullyBe.com

Feel Energized,

Restored

3020 N Country Club Rd, 85716

Shawnaa is a 200-hour registered yoga teacher and working on another 300-hour certification program that will complete in October 2025. She focuses on alignment, breath and meeting her clients where they are at, allowing them to practice at their own pace and level.

Replenish

520-322-6161 • PerformanceNeurology.com

and Balanced! Get Charged Up!

For Health Benefits visit: www.Biocharger.com

Call Today! 520-322-6161

Visit our website: PerformanceNeurology.com

Replenish your body with the Natural Energies it lacks due to our modern lifestyle. BioCharger and Pulsed Electromagnetic Therapy with Low Level Laser Therapy available starting January 2nd. Visit Biocharger.com to learn the health benefits of this new technology. Discount packages available. See ad, page 8.

THE YOGA CONNECTION

3929 E Pima, 85712 520-323-1222 • Yoga@YogaConnection.org YogaConnection.org

The Yoga Connection, a non-profit center serving Tucson over 35 years, offers all levels of yoga and specialized classes. We offer yoga teacher training leading to 200-hour and 300hour certification. Ask about scholarships and payment options.

ADVERTISING SALES & COMMUNITY ADVOCATE – NATURAL AWAKENINGS

TUCSON. Passionate about health and wellness? Love connecting with people? Join Natural Awakenings as an Ad Sales and Community Engagement Advocate! Build relationships, support conscious businesses and be at the heart of Tucson’s wellness scene. A flexible, purpose-driven role with generous commission—perfect as a side opportunity for retirees or those seeking meaningful community involvement with a rewarding, purposedriven mission. Call 520-760-2378 or email Holly@NaturalTucson.com to learn more.

ARIZONA PSYCHIC ASSOCIATION (A.P.A.) A Statewide Directory of Who’s Who in Arizona’s Psychic Community. Hardcopy and Digital Listings. Includes a Concierge Referral Service. An end of year Psychic Conference. Open to anyone with a psychic or paranormal business in Arizona. For Information: ArizonaPsychicAssociation. com. Call or text: 520-683-4494. ArizonaPsychicAssociation@gmail.com.

DID YOU LIVE BEFORE?

Free in person book presentation and discussion of Karma & Reincarnation; explore how reincarnation shapes your past, present and future. Join us on April 26th from 10am to 12pm. Light refreshments provided. The L offices, 1860 E River Rd, suite 325 (Campbell & River Rd). Call for details: (520) 330-2264. SummitLightHouseTucson.org.

EMOTIONAL FREEDOM COUNSELING

Larena creates unique healing regimens. Larena Kosi Healing Woman assists with relationship break-ups, goddess grooming, toxic energy removal, womb healing, empath protection, HSP awareness, talk counseling, Somatic movement, sound healing, creative counseling and holistic living regimens. Redefine with Resilience! 914-912-1365 (Phone/text). KosiHealingWoman@gmail.com.

HEIDI WILSON OFFERS private craniosacral sessions and teaches a six level workshop series called Riding the Wave, Touching Stillness; Craniosacral Work with a Biodynamic Perspective. Each workshop offers 20 CEUs for massage therapists. 520271-4680, HeidiWilsonFluidHealing.com.

HOLISTIC HEALTH

COACHING – As a Registered Nurse and Health & Wellness Coach, I provide holistic, forwardthinking coaching with the power of accountability to help you achieve your health and life goals. From trauma recovery to overall well-being, I empower you to take control of your mind, body and spirit. Book a free discovery session today! 828-545-6160, Info@AllenOwensbyCoaching.com.

NEED LESS STRESS?

Wisdom Blooming, Nervous System Regulation. Organic Intelligence is a positive reinforcement clinical model using attention and embodiment, transforming stress to resource. Deactivate anxiety, invoke healing capacity and improve performance. Serving adults, parents, teens, children and teachers. Book a 20 min free consultation with Lynette Maya. WisdomBlooming.com.

ONE WHO KNOWS the eternal self will "stand unshaken amidst the crash of breaking worlds," taught Paramhansa Yogananda, author of 'Autography of a Yogi! In our quest to escape the matrix, join us at Ananda Center of Tucson for spiritual teachings and practices. More info: text Harlan 630-4306265. AnandaTucson.org.

THE TEMPLE OF UNIVERSALITY ‘Celebrating the unity of God and Man.’ A Spiritualist, Universal all-inclusive Church. Uplifting talk, healing meditation, music, gifts of spirit messages. Tucson Jewish Community Center 1st & 3rd Sunday at 11am. 3800 E River Rd. TheTempleOfUniversality.org.

WINTERHAVEN HEALTH CENTER has 2 rooms available for an experienced Acupuncturist and Craniosacral therapist. Please call 520-322-6161 for details.

To place a classified ad, email: Holly@NaturalTucson.com. 50 words and a logo for just $75 per month, three-month minimum. Contact us with questions, 520-760-2378.

ORTHODONTIC ALIGNMENT

The assumption that orthodontic treatment is mainly about appearance has been proven wrong with many studies. The correct alignment of the teeth is crucial for good dental health.

Untreated orthodontic problems may contribute to tooth decay, gum disease, bone breakdown, jaw joint problems and loss of teeth. In addition, uncorrected problems can adversely affect one speech, general health, and self esteem. Self-confidence almost always increases when a smile is improved.

Some of the benefits of having orthodontic treatment:

• Reduces the risk of gum, disease, and tooth decay by making it easier to clean your teeth properly

• Prevents your teeth from getting chipped or broken due to miss alignment.

• Prevent you from being worn down, prematurely or excessively

• Can reduce stress, tension, and pain in the jaw, neck and face if you suffer from a misaligned jaw.

• It can restore full oral function and improve oral wellness.

Doctor Wissinger is bringing the newest technology in the orthodontic world to Tucson! Discover the Fastbraces difference! Fast, comprehensive treatment in months… not years! She is also a top Invisalign provider and can decide if clear removable aligners are right for you.

Call the office of Dr. Wisinger to find out the advantages of orthodontic care and start your treatment today!

Dr. Elahe Wissinger

Turn static files into dynamic content formats.

Create a flipbook
Issuu converts static files into: digital portfolios, online yearbooks, online catalogs, digital photo albums and more. Sign up and create your flipbook.