


One of the great draws of Sisters Country is the opportunity to live in a healthful environment that promotes a sense of well-being. Many people in Sisters live active lives, out in the garden or on the trail on a bike, on foot or on horseback. We engage in all kinds of sporting activities.
Central Oregon is full of providers of services that enhance health and well-being. They’re here for the same reasons, and they understand the need to help their clients and patients stay on the path of adventure — or get back on it when injury takes them down. Whether it’s healing from an injury or maintaining good health from head to toe, these providers seek to work in partnership with their patients and clients — because health care is most efficient and effective when we are proactive and engaged.
No matter what is ailing or troubling us, we do better when we act early, before problems become
acute. And each of the providers profiled in Partners in Health and Well-Being make it easy and comfortable to act.
This place is also a beautiful setting in which to end our journey, and there are caring providers who help families make the final steps on the path comfortable, dignified, and affirming.
With experienced and expert professionals to help us, we can optimize our health and wellbeing to enjoy the best of the Sisters Country way of life.
Jim Cornelius, Editor in Chief
The Nugget Newspaper
Harty Kelley brings a range of modalities to bear in helping patients overcome injury or illness and pursue well-being. She uses acupuncture, cupping and guasha, and body work to address issues such as chronic pain or complex immune system disorders.
“The way I work, the patient’s body is dictating the treatment,” she says. “The body literally, directly shows you the imbalance.”
Most people who visit Horse Cloud Healing receive cranial sacral therapy.
“At the core of chronic pain is stress — either stress from the pain, or pain is caused by stress,” Kelley observes. “Cranial sacral therapy is a direct massage to the nervous system.”
Kelley is deeply and widely educated in her field — but not all of her knowledge and understanding comes from the classroom.
“I’ve done a lot of training outside of school,” she says. “I needed to learn from the source, I needed to learn from the wisdom I could gain studying with Chinese
shaman Master Zhongxian Wu for seven years. I studied with him to honor the original shamanic roots of traditional Chinese medicine.”
She believes that Western medicine tends to focus on individual symptoms, while Chinese medicine offers an intimate understanding of the body, mind, and spirit as a whole system.
“Everything is intimately and intrinsically connected,” she says.
Kelley applies millennias of wisdom to a wide range of complex issues, including women’s issues: “I think Chinese medicine has so much to offer for gynecological issues.” Chinese herbal medicine “has thousands of years of understanding to the intricacies of that particular system.”
Kelley notes that, unlike many medicines, “Chinese herbal formulas are not meant to be taken forever. You don’t become dependent on them. They’re meant to correct the imbalance in the body.”
For details on initial treatment and the modalities employed, visit www.horsecloudhealing.com.
Sisters is an active community — people enjoy their hiking, sports, fitness activities, horseback riding. They also get hurt.
Therapeutic Associates makes a point of getting patients back in the game as quickly as possible. Being well staffed means patients can get in quickly and get back on the road to recovery.
“Generally, we can get people in within 48 hours of referral,” said physical therapist Matt Kirchoff.
Patients can also come to Therapeutic Associates directly, and that’s also usually just a couple of days wait.
Steven Dobson is an orthopedic clinical specialist and David Emerson is a physical therapy assistant. Their knowledge and expertise help restore strength and function when too much fun — or an accident — puts us in the hurt locker.
Therapeutic Associates therapists are well versed in the kind of injuries found in active folks.
Right now, many of the injuries that Therapeutic Associates sees come from the pickleball court
and the golf course — both popular summer activities. Neither is notoriously hard on the body, but injuries do occur. Like any racket sport, pickleball has stops and starts that can cause strains, and that big golf swing can put the hurt on your back.
Therapeutic Associates specializes in getting people back to their game quickly and in good condition. But we have to act early. Trying to tough out a nagging injury often makes things worse, more complicated, and delays recovering to full capacity.
“The sooner we catch these, the easier they are to treat,” Kirchoff said.
Therapeutic Associates can also work proactively to prevent injury and work on balance to prevent falls.
Keep an eye out for a fall class on foam rolling, and the clinic will host a Chamber of Commerce gathering on September 5.
Therapeutic Associates also offers aquatic therapy, and a unique step-down program in partnership with the adjacent Sisters Athletic Club.
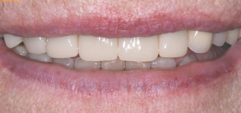
Your smile — or lack thereof — says a lot about you. People often react to people differently when you smile; it makes you seem more open and friendly. Having a nice smile is, well, nice.
Some folks may see taking care of their teeth for aesthetic reasons as vanity, according to Amy Remick, office manager at Gilmore Dental in Redmond.
Fortunately, good dental health and aesthetics aren’t an either/or proposition — and Gilmore Dental can take care of both.
“Some people come in and they are specifically concerned about the appearance of their smile,” Remick says. “If you want to improve your smile because you don’t like it, great.”
However, Remick asserts, the focus of Gilmore Dental is always on good dental health.
“Ultimately, what comes first is functionality and stability,’ she says. “The bonus of functionality and proper bite is aesthetics. So very little of what we do is about the vanity part of it.”
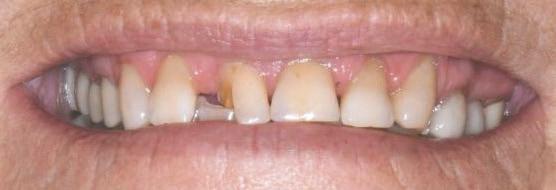
The two concerns do go handin-hand. Remick notes that fracture lines are both an aesthetic negative and a sign of trouble for your teeth.
“As we age, we get fracture lines,” she says. “Most of us have them.”
Such fracture lines are “an indication that something is not right,” Remick says.
It’s best to work with your dentist early to make sure a tooth doesn’t break — or to deal with it quickly and effectively when one does. Acting early is a message that Remick and the whole staff at Gilmore Dental consistently try to get across to patients and the public.
Remick can recount many instances where people have put off dealing with relatively straightforward dental issues — cavities, or even basic cleaning — until they become full-blown health crises. Dental neglect always ends up costing the patient more — in pain, risk, and dollars — than proactive measures would have. A lot of disease doesn’t present early with pain and discomfort, yet ignoring it can have disastrous consequences. We wouldn’t ignore precancerous cells because we’re not in pain. Gilmore Dental continually urges folks to think of their oral health in the same way and act early to avert problems that can lead to
loss of teeth, diminished health, and reduced quality of life.
In working to optimize patient health and well-being, Gilmore Dental meets a high standard of care. They’re not just going to do a quick cleaning — they need to know what’s going on in your mouth, which means thorough diagnostics, including X-rays. Remick understands that patients want to minimize time investment and financial costs — but minimizing or avoiding care ends up being more costly in the long run.
“It’s an investment,” she notes. They urge all of us to invest in our overall health and wellbeing — and save money in the long run — by regularly visiting your dentist and acting quickly and decisively to head off dental problems.
Whether you want to work on your smile, or are seeking the best outcome for your dental health and overall well-being, Gilmore Dental will work with you to provide all the information you need to make your own informed decisions about your dental care.
Joe Uhan thrives on helping people overcome what seems like a daunting or permanent condition. He seeks not only to alleviate pain and discomfort, but to restore people to the activities that they love, the pursuits that give their lives purpose and meaning.
With thorough assessment and deep experience in working through complex problems, Uhan offers clients reassurance that their issues can be addressed, that “it’s not a terminal dead end. With skill and diligent work, we can keep the active lifestyle that living in Sisters encourages and promotes.”
Uhan is able to take on the most challenging cases — where conventional treatments have failed to help — because he never stops learning.
Uhan launched Uhan Performance Physiotherapy in Eugene over a decade ago and has diligently refined his clinical practice with continual education and training. He is a Board Certified Orthopedic Specialist and a Certified Functional
Manual Therapist. He is also fellowship-trained.
Continual education at an elite level is part of Uhan’s commitment to excellence.
“That’s my commitment,” he says. “I am traveling across the country to learn from the most talented and brilliant people who are doing innovative work.”
The practical effect of that work is felt by his patients.
“If I’m treating someone for back pain and I haven’t seen them for three months, I’ve learned something new that we can try,” he says.
Since moving his practice to Sisters — where he has served as an Outlaws track coach — Uhan has established a reputation as a go-to therapist.
“People are coming from Bend to see me,” he said.
That’s a fulfillment of Uhan’s desire to provide Tier 1 treatment in this small community — “being able to provide elite-level care that you’d have to go to a major metropolitan area for — and we can do it here.”
There is nothing more important to our health and well-being — not to mention our joy in life — than good, wholesome food.
Sisters Farmers Market — a program of Seed to Table — offers folks in Sisters Country direct access to an astonishing array of local produce, meats, berries, fermented products, artisan food, and locally made goods to market every week from June through October (closed September 29 and October 13).
“We have a lot of full-diet options,” says Willa Bauman, director of the Farmers Market . “We have more vendors bringing that than ever before.”
Bauman notes that food bought at Sisters Farmers Market is high-quality and organic, and it retains all of its nutritional value moving directly from the farm or ranch to our kitchens in Sisters.
“It’s another great way to close the gap between the cost of Farmers Market food and what people can buy on SNAP,” Bauman said. “We love that these programs just help everyone participate in this really fun community and collaborative event.”
And fun it is. Foodies get to meet the people who grow and raise their food, and they get to enjoy entertainment and a sense of community.
“There’s also the element of community and belonging,” Bauman said. “It’s a different experience than shopping at a grocery store.”
And Sisters Farmers Market makes a point of ensuring that this quality food is accessible to all. Participants in the The Supplemental Nutrition Assistance Program (SNAP) can use their benefits at the Market by receiving tokens for purchases from vendors, who return them to the Market for reimbursement. Additionally, the Market accesses Double Up Food Bucks, a matching program administered by the Farmers Market Fund. If you plan to spend $20 of your SNAP dollars at Sisters Farmers Market, Double Up Food Bucks gives another $20 to buy more locally grown fruits and vegetables.
Sisters Park & Recreation District (SPRD) plays a big role in the health and wellness of the folks in the Sisters community.
Jared Lustig, deputy director of SPRD, says that role will only grow as the district moves into the former site of Sisters Elementary School. The new facility and expansive grounds will provide an opportunity to expand health and wellness offerings. But SPRD isn’t waiting. Lustig notes that they are already doing more in the healthand-fitness realm.
“We’re expanding some of our more popular classes,” he says.
Better Bones and Balance and Zumba are moving to three times a week. In addition, SPRD is launching a Strength in Movement class. The class focuses on range of motion, breathing, balance, posture, strengthening, and flexibility, all essential for better mobility. SPRD is also partnering with Three Sisters Yoga for Gentle Yoga + Movement.
“Acne
It’s tough being a teenager. Between social pressure, school pressure, and the travails of bridging childhood and adulthood, there’s a lot of stress on teens. It seems unfair that they also often have to deal with acne.
SPRD is committed to making their classes “affordable and equitable for all of Sisters,” Lustig said.
Anyone who qualifies can access SPRD’s scholarship program to help defray costs of classes and programs. Community members can support this vital resource by donating to the scholarship fund at https://sisters recreation.com/donate.
The District is committed to providing fun activities and connections for the community. There are a variety of camps available from wilderness bushcrafting to art, to STEM (Science, Technology, Engineering, Math) educational camps.
Above all, SPRD connects the community — which is a key not only to individual well-being, but also to a healthy community.
SPRD works to avoid duplicating programs that exist elsewhere in Sisters, while also ensuring that there are opportunities for all ages to meet their fitness goals. Even the little ones get in on the fitness classes with Happy Habits Fun and Fitness, which gets kids up and active for a purposeful 60 minutes with activities that boost motor skills, coordination, and strength.
“They definitely go through a lot, and one of the things they can experience is acne,” says Marianne Kennedy, owner of Radiant Day Spa in Sisters. “I myself had acne. I definitely understand how it feels and how it can affect a person.”
That relatable sense of understanding drove Kennedy to craft a program to work with parents and teens to address the causes of acne — and to treat it so that it can be pushed back for good.
“It’s really an opportunity for me to partner with parents and get teenagers and parents the information they deserve to potentially mitigate long-term acne,” Kennedy says.
Hormones and stress are factors in developing acne.
“Hygiene is a huge factor, diet is a huge factor, hydration is a huge factor,” Kennedy
is not your destiny. The sooner we address it, the sooner it stops.”
— Marianne Kennedy
says. “Teenage skin is a breeding ground for (acne) and once it starts, it tends to multiply,” Kennedy notes.
She sets teens up on a regular every-other-week treatment schedule, and performs extractions in a safe, hygienic manner.
“It really helps to reduce the spread of acne, and it does it in a way that also reduces the chances of scarring,” Kennedy says.
She also makes ingredient recommendations for skin care, but she does not pitch a product. She encourages teenagers to be more mindful of diet.
Kennedy recognizes that acne can cause a lot of social discomfort, and prevent a teenager from manifesting their true self. She has seen teens overcome problem acne and seen a radical change in who they are in the world.
“Acne is not your destiny,” she assures teens. “The sooner we address it, the sooner it stops.”
Consistent dental care is critical to our oral health — and to our overall well-being. Sisters Dental is making sure that lack of insurance or the ability to pay for dental care doesn’t create a barrier to receiving quality care.
The Sisters Dental Membership Club allows patients to get routine dental care with a low monthly payment, and enjoy quality dentistry without dental insurance. Members can also find an option if they struggle with gum disease.
“Patients become more consistent when they’re part of the club,” says Dr. Trevor Frideres. “It makes dentistry a little more approachable for the average person.”
That consistency is really important to staying in front of any developing dental issues. It’s a lot easier — and less costly — to catch problems when they’re small rather than letting them worsen and become more acute — or even an emergency.
“A lot of dentistry is preventative,’ Dr. Frideres says. “If we can keep a patient consistently
coming in and see those small things, we can prevent the big things that happen with a gap in care.”
The membership club also helps promote consistent and predictable scheduling for the team at Sisters Dental.
“It’s a win-win for everybody,” Dr. Frideres says.
Sisters Dental offers a full range of services, from general dentistry to family dentistry to cosmetic and restorative work. They do implants and offer treatment for TMJ and teeth grinding. Options for soothing dental anxiety are available.
Dr. Frideres has built a thriving practice out of a commitment to the small-town feeling of connection to patients and the community that he and his staff prize. He values building relationships and earning trust by making sure each patient feels heard. He enjoys providing education and collaborating with each patient, taking time to explain complex situations or conditions so that each patient can make the best choice for their care.
Sisters is an active community. Many people pursue serious athletic endeavors; others just enjoy getting out and enjoying their hobbies. Sweat PNW offers the opportunity to build strength and capability, whether you are an athlete or just want to enjoy feeling good in an active life.
Sweat PNW originated from the idea that breathwork and movement are intertwined and work most powerfully when used together.
The small group class size allows the coaches to work with individual client needs and modifications. Each class is designed to build strength from the stabilizing muscles, increase mobility and improve breath rate and recovery.
The motto at this gym is: Breathe. Sweat. Stretch. Each class begins with breathwork to prepare the mind and lungs, followed by a blend of cardio and strength training, transitioning into a guided stretch at the end.
At Sweat PNW, classes and clinics are focused on strength,
balance, stabilization, flexibility, wellbeing and bodyweight exercises. The blend of Pilates and weight training is designed to complement proper form and awareness of each individual’s body and its unique design. The coaches are highly qualified and motivational. Sweat PNW’s primary objective is to help each member meet their own health and fitness goals in a fun and safe way supported by an encouraging community. Sweat PNW also offers personal training, fascial stretch therapy, and clinics to improve skills in running, pull ups, pelvic floor strength, skiing, pickleball, mobility, and more.
“The experience at Sweat PNW will leave you feeling stronger, more empowered and more confident,” said proprietor Ashlee Francis. “Whatever your goals may be, Sweat PNW is ready to help you achieve them.” If you would like to learn more about joining this supportive, welcoming community, check out the Sweat PNW website or email hello@sweatpnw.com.
Being diagnosed with a serious illness is a heavy, life-changing blow — and the future can look intimidating. One crucial step in battling illness and striving for the best possible quality of life is to seek palliative care.
Partners in Care and Summit Medical Group have long partnered to bring high-quality palliative care to patients in Sisters Country who have been diagnosed with cancer, dementia, heart failure, renal failure, neurodegenerative conditions such as ALS or Parkinson’s, and chronic obstructive pulmonary disease.
“Palliative care is really to be used at the diagnosis or onset of a serious illness,” says Maureen Dooley of Partners in Care. She notes that the sooner a person connects with palliative care, “the better quality of life they will have.”
What is palliative care? Dr. Jennifer Blechman, palliative care medical director with Summit Medical Group, explains it this way:
“Palliative care is specialized medical care that helps people living with serious illness — and their families — live better. We work as a team of specialists to
improve quality of life, reduce the symptoms and stresses associated with serious illness, and help align treatments with a person’s goals and values to ensure they get the best care possible.
“Palliative care is an extra layer of support for patients and families that is provided concurrently with care they are receiving from their other providers – palliative care does not replace primary care or specialist teams. Ideally, palliative care is started soon after the diagnosis of a serious illness, as we know now that people dealing with a serious health issue live better, and often longer, when palliative care is involved in conjunction with disease-modifying therapies. Palliative care can make the most impact when introduced early in the disease trajectory and is appropriate for patients of any age and at any stage of a serious illness. Palliative care is covered by health insurance – it is the same as seeing any other medical specialist.”
Palliative care is often confused with hospice care, but they are not the same thing.
Dooley notes that palliative care is strongly oriented toward helping people continue to enjoy the
relationships and activities that give their life shape and purpose and meaning.
The Partners in Care palliative care team will:
• Expertly treat physical symptoms to improve quality of life.
• Help you stay home rather than go to the hospital or ER.
• Make living with an illness easier for both you and your family.
• Help you live better while working on getting better.
• Address emotional and spiritual concerns related to living with an illness.
• Help you live a good life in spite of having a serious illness.
• Provide clarification and
education about your illness and treatment options to support you making informed decisions in line with what is important to you in life.
• Help you and your family manage serious illness and treatments – whether curative, carative, or at end of life.
“They look at the whole person,” Dooley says. “That’s what is so special about palliative care.”
A person might be referred to palliative care by a doctor or by a personal community referral.
“If someone is interested in palliative care, they can contact our team directly through our main line,” Dooley says. “We will send someone out to do an assessment.”
Jennifer Sowers wants her community to know that they have choices when it comes to managing the stresses and wounds that life dishes out.
We often feel that things should always be good, living in a beautiful place with a connected community. But none of us are immune from struggles — and Sowers has always found herself to be “calm in the eye of other people’s storms.”
As a mental health counselor, Sowers helps her clients move from being reactive to being responsive in managing the struggles they may face. She takes a holistic approach, accounting for the wide variety of factors that may be contributing to a sense of isolation, anxiety, discord, or depression — from social factors to physical issues to a lack of a sense of meaning and purpose.
“It’s important to me to add in the spiritual aspect,” she said.
Some struggles are deep-seated, and they can’t just be lifted away. But they can be taken on.
“Sometimes, we can’t solve the problem, so we have to change our approach to this problem,” Sowers said. “What I really love doing is helping people find their natural strengths.”
If you’ve lost the music and want to find your voice, working with a counselor can help remove unhelpful noise, open your heart, and help you find your way back to yourself
Counseling might be of benefit in your wellness journey
Individual counseling (Ages 14 through 65+)
Peer, relationship, and school issues
Life transition and grief counseling
Trauma, PTSD, depression & anxiety
Mosaic Community Health operates seven pediatric locations in Central Oregon.
Six of these sites are School-Based Health Centers, including the Sisters SBHC, which opened last fall at 535 N. Reed St. adjacent to Sisters High School and the new Sisters Elementary School site. SBHCs are independent pediatric healthcare clinics located on or near school grounds.
Anyone age 0-18 can be seen at an SBHC: patients do not need to be students at the school, health insurance is not required, and healthcare can be established with a different provider.
SBHCs offer convenient, accessible healthcare near schools to increase student attendance and help families take less time off work to get children to appointments. And SBHCs collaborate with schools to improve student wellness. In addition to medical and behavioral health care, providers at Mosaic SBHCs emphasize prevention, early intervention, risk reduction, and the development of healthy habits with their young patients.
Mosaic offers coordinated team-based care that addresses all aspects of patients physical, mental, and social health. Mosaic accepts most private or commercial insurance and all local OHP (Medicaid). They offer reduced rates based on a sliding scale to all Mosaic established patients. To learn more or make an appointment, call 541-383-3005.
Taking good care of our skin is about a lot more than vanity. It’s an essential part of our well-being — especially living in a dry climate.
“Climate has a huge play in how we feel. It’s important to take care of your skin — not only how it looks, but how it feels,” says Sarah Woods of Roam Natural Skin Care. “If you don’t take care of your skin, it could lead to bigger problems.”
With a deep background in skin care, Woods has created a studio with an aesthetically comfortable atmosphere where clients feel safe talking about how they’re feeling in their skin and their body. Woods offers highquality skin care products associated with luxury spas, with clean ingredients, ethically produced. She seeks to find an intersection of experience, quality, and value.
“I think I’ve done a good job of having something for everyone,” Woods says.
A teacher by temperament and passion, Woods offers guidance to help clients become comfortable caring for themselves.
“I’m all about education — and that’s how you build trust,” she says.
The Roam Natural Skin Care experience is uniquely comforting, with Sarah offering full one-on-one attention.
“There’s just a lot more personal relationship with the experience,” she says.
St. Charles Family Care in Sisters is dedicated to the health of our community, providing comprehensive medical care close to home for the whole family, from newborn to geriatric. Their highly trained team of providers is currently accepting new patients.
Drs. Inger Lied and Jeremy Kenison work collaboratively with physician assistant Lindsey Pruyn, behavioral health consultant Samantha Goodrich, and ambulatory care pharmacist Melissa Smith to treat the whole patient.
Obstetric and gynecologic appointments are available. A provider from the Center for Women’s Health is at the clinic in Sisters on Wednesdays to provide obstetric care, well-women exams, contraceptive management, menopause treatment, and other services. The Center for Women’s Health has board-certified physicians, women’s health nurse practitioners, and certified nurse midwives who work together to meet patients’ needs. Women requiring more advanced care are referred to the Center for Women’s Health in Redmond to see a board-certified OB-GYN.
St. Charles Cardiovascular
Services offers cardiol-
Services offers cardiology care with Dr. Allen Rafael once per month at the Sisters clinic. Appointments are open for new patients as well as established patients who need follow-up care.
Lab services and diagnostic imaging are available at the clinic for all members of the community, including those who are not St. Charles patients. The lab performs blood draws with same-day results for routine tests. Electronic test order and result options are available for providers and some screening tests may be selfordered. Basic x-rays are provided onsite, enabling patients to stay close to home rather than travel to neighboring communities.
St. Charles Family Care is located at 630 North Arrowleaf Trail in Sisters. Appointments can be scheduled by calling 541549-1318. For hours of operation, please visit stcharleshealthcare. org.
Pickleball, a cross between table tennis, badminton, and tennis, is easy to learn, social, fun, and a great form of low impact exercise. It can, however, lead to injury. Common injuries with pickleball are tennis elbow, ankle and low-back sprains, and achilles tendon, rotator cuff, and knee injuries. The good news is Green Ridge Physical Therapy & Wellness can help you lower risk of injuries — and help you optimize your performance by thorough education in improved load management.
Or if you have a nagging injury, Green Ridge can treat that and help you get back to your game faster and with less risk of re-injury.
Annie McDonnell, the balance guru, does a comprehensive assessment of the three main balance systems — eyes, inner ear balance system, and the receptors in your spine, muscles, joints, and tendons that tell you where you are in space — and develops an individualized program to help you work toward your best balance, reaction times, and confidence in your pickleball game.
The rest of the team is there to treat all aches and pains with a myriad of efficient and effective approaches.
And the team is there to offer the same kind of support, no matter what your activity.
Sisters Transportation and Rideshare (STARS) is important to supporting the health of residents in Sisters Country, so STARS managers have taken measures to improve the organizational structure and services. STARS has worked with Central Oregon Intergovernmental Council and the Oregon Health Sciences University Capstone Program to create a sustainability path and become an independent 501(c)(3) nonprofit. Executive Director Rennie Morrell says, “Sisters needs STARS because we give free medical rides to a segment of our population who would otherwise struggle to get healthcare. Our dedicated volunteers give rides to grateful passengers with mobility, vision, memory, and other health challenges. Over the last year, STARS’ demand for rides has increased by 33 percent, making partnerships with community drivers and dispatchers extremely important.”
STARS could not exist without funding, and is grateful to The Roundhouse Foundation, St. Charles Foundation, Cow Creek Umpqua Indian Foundation, Rumberger Foundation, the City of Sisters, and Citizens4Community for monetary support and advice. Donations from passengers and others in the community, like 100-Women Who Care, have helped tremendously. Newly elected Board Chair Christy Corzine says, “The more residents hear our story and what we do for the community, the more they want to be involved.”
Most of us get treatment when we’re sick or injured — and we let things slide when we’re feeling OK. Daybreak Wellness encourages folks in Sisters to take a more proactive, consistent approach to taking care of ourselves.
“Who doesn’t need less stress, better sleep, and more energy?” says Diane Flowers, founder of Daybreak Wellness.
Daybreak employs a range of cutting-edge tools, technology, and training to offer a wide range of services on a membership basis — from massage to cryotherapy to sauna, red light therapy, compression, and much more. Membership allows access to a full range of tools not only to feel better when we’re down, but to optimize our quality of life on an ongoing basis. Treatments promote energy, recovery, sleep, and mental well-being. Athletes use treatments to recover from rigorous endeavors. Others use them to reduce chronic pain. Anyone can access them to simply feel better and more energized in their day-to-day life.
Consistency is key.
“I think that’s when you really see the results with these tools, when you have a consistent routine with them,” says Flowers, “If people can dedicate an hour a week and get in there consistently… they really start to notice changes in all the parameters of their health.”
Everybody wants to have a dazzling smile — but that movie-star smile is only part of what orthodontics is about.
Correcting problems with bite and tooth alignment is vital to good health. A misaligned bite or crooked teeth can mean a lifetime of damaged teeth, and even problems chewing food and breathing. You only get one set of teeth to last a lifetime.
But wanting a nice appearance is not mere vanity. Bad teeth can affect both the way you carry yourself and the way others perceive you. Your smile has a big impact on how you walk in the world.
Orthodontic care is a big deal to a patient and their family. Woods Orthodontics’ approach to patient care combines expertise and empathy, professionalism and playfulness, ensuring high standards of orthodontic care and patient experience. Every smile they craft is a testament to a commitment to excellence and genuine care.
Dr. Shannon Woods was that dental student who was always in
the front row with her highlighter pack, dedicated to the highest standards of excellence, even as a student. She’s published, board certified, and still as dedicated as ever to a standard of excellence.
Professional expertise is critical of course — but so is the ability to connect with patients and put them at ease.
“Being a part of this community means everything to me,” Dr. Woods says. “Whether enjoying a summer concert or supporting
local vendors, we believe in building relationships. In the clinic, that applies both ways — you should find an orthodontist who is not only skilled, but also supportive of your lifestyle and individual needs. Family, friendships, and time in nature are at the heart of everything we do. These moments of joy inspire us to create smiles that reflect true happiness. We call them ‘Genuine Smiles.’”
While adolescence is the time of life often associated with
orthodontics, more adults are choosing to correct issues they’ve lived with for years. The rise of clear aligners has promoted that.
orthodontics, more adults
Advances in technology have made the experience of orthodontics better. Stronger materials, digital scans, and 3D scanning that can create a model of your mouth in real time have made the practice less onerous on the patient, and more accurate and efficient for the practitioner.
Woods Ortho offers orthodontics appointments at Sisters Dental (call Woods Ortho at 541-385-3104 to schedule). Since orthodontics is an ongoing process, saving yourself trips to Bend is really beneficial.
“Our dedication to precision and heartfelt care ensures that each smile is shining with confidence and happiness,” Dr. Woods says. “At Woods Ortho, we blend a mom’s intuition and empathy with industry-leading professional expertise. Here’s to genuine smiles, crafted with love and a touch of ‘mom magic.’”