Farmaventas nº 206

Page 1


farmaventas

salud y consejo farmacéutico

ENTREVISTA OLGA ASÍN, Farmacéutica.

SALUD CLÍNICA, DIAGNÓSTICO Y TRATAMIENTO DE LAS ENFERMEDADES ARTICULARES: ARTROSIS, ARTRITIS Y REUMA, por Ma Montserrat Muñoz García.

ESPECIAL DEPORTISTAS PRODUCTOS ESENCIALES PARA DEPORTISTAS PRE Y POST ENTRENAMIENTO, por Juan Villuendas.

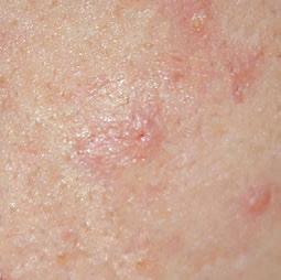
PIEL

LA PIEL ATÓPICA: COMPRENDIENDO Y TRATANDO UNA CONDICIÓN CRÓNICA, por Laura Estévez García.

ESPECIAL SALUD OCULAR ENTREVISTA A IGNACIO MIGOYA LÓPEZ, por María José Menéndez.

OFICINA DE FARMACIA

TODO LO QUE NECESITAS SABER SOBRE LA FARMACIA DIGITAL, por Francisco Sánchez Fuentes.

72 92

08. ENTREVISTA

Olga Asín, farmacéutica.

14. ACTUALIDAD

Noticias del sector.

34. ESPECIAL DEPORTISTAS

Productos esenciales para deportistas pre y post entrenamiento, por Juan Villuendas.

40. SALUD

Clínica, diagnóstico y tratamiento de las enfermedades articulares: artrosis, artritis y reuma, por Ma Montserrat Muñoz García.

46. ESPECIAL COSMÉTICA NATURAL

Innovación y ciencia al servicio de la piel, por Fran Diéguez.

52. PIEL

La piel atópica: comprendiendo y tratando una condición crónica, por Laura Estévez García.

58. SALUD

Hidratantes y lubricantes

íntimos: Mejorando la salud sexual, por Irene Diego Esparza.

72. OFICINA DE FARMACIA

Todo lo que necesitas saber sobre la farmacia digital, por Francisco Sánchez Fuentes.

76. OFICINA DE FARMACIA

La revolución digital en la farmacia: la era de la farmacia digital, por Laura Estévez García.

82. OFICINA DE FARMACIA

El marco de la farmacia en 2025, por Luis De La Fuente.

84. COLEGIOS

Noticias de Colegios O ciales de Farmacéuticos de España.

88. EMPRESAS

Noticias sobre empresas del sector.

92. PEDIÁTRICO

El sistema inmune en la infancia, por Paola Fernández del Pino

94. PEDIÁTRICO

Novedades

96. NOVEDADES 66

62. SALUD

PEDIÁTRICO

EL SISTEMA INMUNE EN LA INFANCIA, por Paola Fernández del Pino

Microbiota, probióticos, prebióticos: ¿qué debe saber el farmacéutico?, por Cristina Fente Sampayo.

66. ESPECIAL SALUD OCULAR

Entrevista a Ignacio Migoya López, por María José Menéndez.

Seguimos avanzando juntos

Según su último informe anual, la Agencia Europea de Medicamentos (EMA) recomendó la autorización de comercialización de 114 medicamentos en 2024, de los que 46 son opciones terapéuticas novedosas porque contienen un principio activo nuevo que nunca había sido autorizado en la Unión Europea, tal como informa Farmaindustria. Entre estos nuevos medicamentos, hay 15 para enfermedades consideradas raras, un medicamento para el tratamiento del Alzheimer temprano, otro para el tratamiento de adultos con un tipo de esclerosis lateral amiotró ca (ELA), la primera forma de adrenalina sin agujas y de menor tamaño para tratar reacciones alérgicas y una nueva combinación de antibióticos para el tratamiento de infecciones graves. Es siempre una buena noticia que la inversión de las empresas farmacéuticas en investigación y desarrollo de resultados y de ahí la necesidad de seguir invirtiendo en I+D tanto de forma pública como privada.

Los medicamentos son primordiales, pero también lo son los hábitos saludables. La prevención es esencial para evitar muchas de las patologías predominantes y ahí el farmacéutico tiene un papel esencial, como la persona más próxima al paciente. El trato humano, la escucha activa como nos dice la farmacéutica que entrevistamos en este número, es vital para poder ayudar a la persona a llevar un estilo de vida más saludable, cuidando la microbiota y la salud ocular, articular y sexual, que son algunos de los temas que tratamos en esta revista. En dermocosmética, ponemos especial atención en la piel atópica y la cosmética natural. Y, pensando en los deportistas, recomendaciones para antes y después de hacer ejercicio, que suele ser uno de los objetivos al empezar el año. También contamos con dos colaboraciones que ponen el foco en la digitalización de la o cina de farmacia. Esperamos seguir avanzando juntos y animamos a todos nuestros lectores a seguir las ponencias del congreso FARMAWEEK que se celebra del 24 al 27 de febrero. ¡Nuevas e interesantes formaciones!

Olga Asín, FARMACÉUTICA

Farmacéutica experta en dermocosmética personalizada, enamorada de la dermofarmacia y titular de la Farmacia Olga Asin en Terrassa, Olga Asín lleva 7 años ayudando a mujeres a cuidar su piel por dentro y por fuera. Nominada a Mejor Comunicadora de Salud en los Premios Idermo 2023, ponente en el congreso Farmaweek y colaboradora en el podcast “A gusto en mi piel” de SVR, ha impartido talleres y cursos de cuidado de la piel en la farmacia.

“La escucha activa y la atención dermofarmacéutica permiten construir un vínculo de con anza clave para ofrecer soluciones reales y personalizadas”

A rma ser una apasionada de la dermocosmética, que junto a “una rutina adecuada de belleza, puede cambiar tu vida”. ¿Sabemos cuidar nuestra piel? ¿O falta todavía conocimiento en la sociedad actual, a pesar de que el acceso a la información es cada vez mayor?

El cuidado de la piel sin duda es tendencia y el acceso a información sobre Skincare ha crecido exponencialmente con las redes sociales en la sociedad actual. Sin embargo, en mi opinión, hay un exceso de información que conlleva que el conocimiento no siempre se aplique de manera adecuada.

La dermocosmética, con su enfoque desde la salud, el autocuidado y la belleza de la piel, puede transformar la vida de las personas de quien la integran en su rutina diaria de manera correcta. Sin embargo, muchas personas no saben cómo interpretar la información a la que tienen acceso o caen en tendencias que no siempre son las más adecuadas para sus necesidades especí cas.

En resumen, aunque avanzamos hacia una sociedad más consciente de la importancia del cuidado de la piel, todavía queda mucho por hacer en términos de educación personalizada para combatir la desinformación.

La combinación de una rutina adecuada, productos dermo -

cosméticos bien seleccionados y una visión integral de la salud puede, efectivamente, cambiar vidas, porque ¡cuidar tu piel es cuidar de ti!

¿Hasta qué punto son importantes la atención dermofarmacéutica y la escucha activa?

Son fundamentales en el contexto de la dermocosmética porque esto no va solamente de recomendar productos, sino de ofrecer un enfoque integral que considere las necesidades individuales y el bienestar general del paciente.

Por eso es importante realizar una entrevista inicial donde la primera pregunta siempre sea “que es lo que más te preocupa”, porque de ahí extraes mucha información y a la vez concretas más. La entrevista inicial es clave para conocer el estilo de vida del paciente y tener en cuenta antecedentes, patologías y tratamientos o toma de medicamentos.

La atención dermofarmacéutica es clave para:

1. La prevención y promoción de la salud cutánea e integral: sin duda, un farmaceutico especializado tiene el conocimiento para identicar posibles problemas cutáneos en fases iniciales, puede prevenir complicaciones, así como educar al paciente sobre hábitos saludables,

como el uso diario de protección solar o rutinas adecuadas de limpieza

2. Recomendaciones personalizadas, identi cando el tipo de piel, patologías especí cas como el acné, la rosácea, el melasma o el envejecimiento prematuro e identi cando las circunstancias del paciente como el embarazo, medicación, turnos laborales etc..

3. Apoyo al tratamiento medico, complementando tratamientos dermatológicos. Por ejemplo, una rutina hidratante adecuada puede mejorar la tolerancia a fármacos como la isotretinoina oral.

Por otro lado, la escucha activa es una herramienta que facilita la con anza con el paciente y permite una evaluación más completa e integral (a veces pequeños detalles pueden ser cruciales). Además, promueve la adherencia al tratamiento y a las rutinas establecidas y se evitan errores por desinformación.

En resumen, ambas herramientas, la escucha activa y la atención dermofarmacéutica, permiten construir un vínculo de con anza clave para ofrecer soluciones reales y personalizadas, y fomentar la educación y el cuidado de la piel.

¿No hay una cierta saturación de la oferta de productos para la piel? O, por el contrario, ¿continúan habiendo necesidades no cubiertas?

Totalmente de acuerdo, la saturación del mercado dermocosmético ofrece muchas opciones y esto no siempre se traduce en

mayores bene cios. Por eso es tan importante educar a los pacientes y fomentar el asesoramiento personalizado para dar la mejor opción para cubrir las necesidades de cada persona, de manera que este exceso de productos no sea un obstáculo para el cuidado adecuado de la piel.

¿Cómo saber que una formulación de un cosmético es mejor que otra?

La formación y la experiencia son la base para tener el criterio suciente para elegir bien. Formarme es parte de mi trabajo y, sin duda, tengo debilidad por la dermofarmacia.

Además de mi formación y especialización en dermofarmacia como titular, anteriormente trabajé durante 10 años en la industria farmacéutica, en áreas relacionadas con la calidad y fabricación de medicamentos; tengo un Máster de Industria Farma-

céutica y Parafarmacéutica. Por otro lado, ya son más de 7 años de experiencia realizado asesorías dermocosméticas.

Hay que conocer bien los productos cosméticos que disponemos en su composición, puesto que son nuestras herramientas para tratar patologías y para optimizar la calidad de la piel. Es importante tener en cuenta que, más que los ingredientes activos, es la fórmula nal la responsable de los efectos principales de cada producto. Porque una fórmula puede reivindicar una formulación alta en un activo que, a veces, si no está bien vehiculizado no va a penetrar en piel y por lo tanto no va a hacer tal efecto, como por ejemplo pasa con el retinal, que es altamente inestable, o la vitamina C pura, que se oxida con facilidad. A veces pasa que se declaran concentraciones de un ingrediente popular que no existen, como pasa con el retinol, que hay laboratorios que reivinidan el nombre de “sérum de retinol 2 %” cuando son derivados del retinol. Una persona formada sabe identi car rápidamente este tipo de publicidad engañosa. Además el inci es una guía para veri car las concentraciones teniendo en cuenta que el orden va de más a menos concentración, pero esto es orientativo.

Hay que tener en cuenta la compatibilidad de los ingredientes y la tecnología de la formulación, por esta razón, pre ero laboratorios que sean transparentes y que expliquen los estudios clínicos y certi caciones que lo avalan y que no exageren con promesas comerciales sin respaldo cientí co.

Ha creado el Método Skin-OA. ¿En qué consiste?

El método Skin-OA nace tras más de 7 años haciendo asesorías de la piel y formándome con los mejores y se basa en 3 pilares fundamentales:

laboratorios

enga

ñosa. Además el inci es una concen me impor

1. La dermocosmética y nutricosmética personalizada , donde, además de analizar la piel de manera personalizada con dermoanalizador (disponemos uno de Microcaya y otro de imagen) si es presencial o mediante imágenes y un formulario si es online, realizo un abordaje in&out, teniendo en cuenta el estilo de vida, la alimentación, el estado de salud siológico (revisando analíticas previas) y el psicológico, porque es fundamental tener en cuenta la salud mental, para poder modular por ejemplo los niveles de estrés y el cortisol, o bien el insomnio.

y los estudios clínicos como

Luego también es importante la evidencia cientí ca y los estudios clínicos como los estudios in vitro (ej. absorción percutánea) y estudios de e cacia in vivo. En este sentido, Primaderm es uno de los referentes, así como Skinceuticals.

2. El autocuidado práctico, para pasar a la acción con hábitos que se integren en el día a día. Por ejemplo: “si te cuesta aplicar el protector solar cada día, un hábito que puedes incorporar desde ya, es poner el fotoprotector justo al lado del cepillo de dientes”.

3. El estado de la piel sentido, donde el objetivo es aprender a asociar los cam-

bios en la piel para identi car qué productos concretos hay que aplicar cuando modi ca su estado.

Además, incluye un servicio de acompañamiento.

En conclusión, este método no solamente sirve para diseñar una rutina personalizada in&out, según las necesidades identi cadas de la forma más precisa posible, sino que integra el cuidado de la piel de manera que pase a ser un hábito desde el principio y además sea la misma persona que conozca y domine sus propias necesidades en cada momento, lo que les con ere criterio, conocimiento para a adaptarse a los cambios de la piel y necesidades puntuales.

¿Por qué es necesaria una rutina personalizada in&out ?

¿Qué signi ca exactamente?

Una rutina personalizada in&out es un enfoque integral para el cuidado de la piel que combina tratamientos externos (out), como productos cosméticos y de tratamiento tópico, con estrategias de cuidado interno (in), como la alimentación y los complementos alimenticios (nutricosméticos), con el objetivo de mejorar el aspecto y la salud de la piel desde “dentro” y desde “fuera”. Con una rutina in&out se potencian los resultados en e cacia y en rapidez, además incluso te permite hacer rutinas complementarias, de manera que si, por ejemplo, tomamos un antioxidante vía oral, podemos prescindir del tópico y priorizar otras necesidades en la rutina.

Complementar con una rutina in es clave para abordar patologías

como el acné y la rosácea, o en caso de sequedad de la piel, alteraciones de la función barrera y para potenciar tratamientos médico-estéticos que están focalizados en mejorar la síntesis de colágeno y la acidez o las manchas.

En este caso, marcas como Luxmetique, Sweet by Asun Arias y NHCO son herramientas imprescindibles para conseguir resultados e caces y duraderos.

Farmacia Olga Asín es un espacio de salud y bienestar, ubicado en Terrassa y especializado en dermocosmética. Apuestan por marcas de cosmética premium, muchas creadas por farmacéuticos. ¿Por qué?

Porque la apuesta de Farmacia Olga Asín es un re ejo de mi compromiso con la calidad, la innovación y la personalización, con el objetivo de ofrecer productos de máxima e cacia y con respaldo cientí co, posicionándose como una farmacia diferencial en el asesoramiento de la piel.

Ciertamente tengo debilidad por las marcas nicho y más aún si están formuladas por farmacéuticos o especialistas referentes en el sector que conocen bien las necesidades que se requieren para cubrir una atención dermofarmacéutica con éxito. Por otro lado, en mi opinión, diferenciarse es clave en el sector, pero siempre con criterio.

¿Qué respuesta están obteniendo con su web (farmaciaolgaasin.es)?

Francamente, la guerra de precios que hay di culta enorme -

mente vender online y perder la exclusividad de las marcas también... pero es una guerra que no me interesa y tampoco puedo dedicarle ni el tiempo ni la inversión que implica meterse en ella.

Por lo tanto, sigo mi camino para un posicionamiento orgánico, pero sin agobiarme y prefiero respetar siempre los precios que las marcas establecen.

¿Cuáles son sus próximos proyectos?

Este último año ha sido movidito ya que hemos llevado a cabo una reforma en la farmacia, hemos de nido un surtido bastante amplio y ahora toca trabajarlo con mucha formación del equipo, principalmente a nivel de dermocosmética y de complementos alimenticios.

Además, estamos con el proyecto de oficina libre de papeles, que implicará implementar cambios importantes, así como la optimización de algunos servicios como el SPD con el que estamos trabajando ya. La implementación de más servicios en la farmacia también está dentro de mis próximos proyectos.

Tengo especial interés en ampliar mi formación en micronutrición y en gestión de la o cina de farmacia.

Por otra parte, me encantaría poder seguir participando en proyectos junto con las marcas con las que trabajo.

Muy a futuro, me encantaría poder ayudar a implementar la categoría de dermofarmacia y el servicio de asesorías dermocosméticas en las farmacias que lo puedan necesitar. fv

Grintuss: calma la tos protegiendo la mucosa

GROUP GROUP GROUP

La tos es un síntoma molesto tanto para los adultos como para los niños, aunque también es un mecanismo de defensa primario de nuestro organismo para proteger las vías respiratorias y el funcionamiento siológico del sistema respiratorio.

Grintuss Adult de Aboca es un jarabe con fórmula de origen 100 % natural, biodegradable y con ingredientes de agricultura biológica. Es un producto sanitario que ejerce una acción protectora, suavizante y antiin amatoria siológica en las vías respiratorias superiores. Para adultos y jóvenes a partir de los 12 años.

La gama Grintuss se completa con Grintuss Adult comprimidos, Grintuss Pediatric jarabe y Grintuss tisana.

Cuando debemos afrontar la tos, sea esta seca, productiva, aguda o persistente, el primer objetivo es encontrar un remedio que consiga que se nos pase lo antes posible. La tos es un síntoma molesto tanto para los adultos como para los niños, aunque también es un mecanismo de defensa primario de nuestro organismo que ayuda a proteger las vías respiratorias y el funcionamiento siológico del sistema respiratorio. Por eso es importante calmar la tos sin perder su función protectora.

En los laboratorios de investigación de Aboca siempre se ha estudiado la complejidad de las sustancias vegetales y su interacción con nuestro organismo. Han desarrollado fórmulas a base de complejos vegetales y miel que ejercen una acción protectora, suavizante y antiin amatoria siológica en las vías respiratorias superiores, modulando la tos. Nace así Grintuss, una línea de productos fuerte contra la tos y delicada con el organismo.

GRINTUSS ADULT JARABE

Grintuss Adult es un jarabe con fórmula de origen 100 % natural, biodegradable y con ingredientes de Agricultura Biológica. Contiene Poliresin® -complejo vegetal- y miel. No contiene sustancias de síntesis, semisíntesis o genéticamente modi cadas (OMG) y en sus procesos de elaboración tampoco se utilizan disolventes ni otras sustancias de síntesis química. Los jarabes Grintuss no contienen conservantes ni edulcorantes arti ciales.

La fracción extractiva presente en los productos se obtiene a través de un exclusivo proceso tecnológico, denominado LPME (Liquid-Phase Microextraction), desarrollado por la investigación de Aboca.

Es un producto sanitario indicado para el tratamiento de la tos, ya sea seca o productiva, en adultos y jóvenes a partir de los 12 años. Está indicado tanto para la tos en la fase aguda como en caso de tos persistente.

Cómo actúa

Grintuss ejerce una acción protectora, suavizante y antiin amatoria siológica en las vías respiratorias superiores como resultado de los siguientes mecanismos de acción:

• Barrera - Forma una película sobre la mucosa y la protege del contacto con los agentes irritantes.

Mucorregulador

• Antioxidante - Reduce los radicales libres generados por la in amación de la mucosa.

• Mucorregulador - Promueve la hidratación del moco presente en las vías respiratorias superiores, disminuyendo su viscosidad y favoreciendo su eliminación.

• Lubricante - Limita el rozamiento entre la epiglotis y la faringe durante los golpes de tos, contrarrestando así el círculo vicioso que contribuye a la in amación.

• Hidratante - Favorece el mantenimiento de la integridad y del funcionamiento de la mucosa.

Grintuss Adult Jarabe modula la tos sin suprimirla, respetando así su importante función de defensa de las vías respiratorias.

Modo de empleo

Se aconseja la administración de dos cucharaditas rasas de producto de dos a cuatro veces al día, suministrando la última toma antes de acostarse. Agitar antes de usar. Después del uso, cerrar bien el frasco y lavar cuidadosamente la cucharilla.

Consultar las advertencias y precauciones en la web de Aboca o en el prospecto del producto.

La gama Grintuss incluye, además, Grintuss Adult comprimidos, Grintuss Pediatric Jarabe, para niños a partir de un año, y Grintuss tisana. Se vende en farmacias.

7 buenas costumbres contra la tos

Hay algunos días en los que la tos no parece tener ninguna intención de desaparecer. Estas simples prácticas pueden ser útiles para ayudar a calmarla:

• Beber muchos líquidos con regularidad: agua, zumos, infusiones templadas poco azucaradas o endulzadas con miel.

• Limpiar bien la nariz varias veces al día. en especial en niños, usar una solución siológica.

• Bañarse o ducharse regularmente en un ambiente calentado utilizando agua a una temperatura adecuada puede ayudar a humidi car las mucosas de las vías respiratorias.

•Evitar los cambios bruscos de temperatura.

• Usar pijamas ligeros; no exagerar con mantas y edredones.

• Vestirse a «capas», protegiéndose con bufandas, guantes y gorros de lana cuando se sale de casa y cuando la temperatura exterior es muy baja.

• Abrir las ventanas para airear las habitaciones.

Barrera

AINIA desarrolla cápsulas avanzadas para

mejorar

la e cacia de tratamientos cosméticos y medicamentos

El centro tecnológico AINIA ha logrado desarrollar cápsulas dirigidas que permiten llevar activos cosméticos o medicamentos a las capas internas de la piel, mejorando notablemente su e cacia. Este avance, logrado en el marco del proyecto MA-

REA II, marca un nuevo hito en el diseño de sistemas de liberación dirigidos para el sector cosmético y médico, como podría ser en terapias para afecciones cutáneas crónicas o en tratamientos para mejorar la absorción de activos antiarrugas.

MAREA II ha contado con la colaboración de empresas como SESDERMA, MadeinPlant y Zschimmer & Schwarz.

Penetración precisa en la piel Las cápsulas desarrolladas por AINIA, elaboradas

con materiales biodegradables y biocompatibles, están diseñadas con péptidos (pequeñas moléculas de aminoácidos capaces de dirigir las cápsulas a zonas concretas de la piel) creados mediante herramientas de ingeniería genética. Este diseño permite transportar y liberar de forma controlada principios activos directamente en las células diana de la piel. De este modo, se ha podido probar su capacidad de penetración en modelos celulares tridimensionales (3D), que reproducen elmente la estructura de la piel humana.

Aptekfarma, grupo de farmacias referente de la provincia de Cádiz, celebra su décimo aniversario

Aptekfarma, grupo de referencia en la provincia de Cádiz con sede en Jerez de la Frontera, celebró su X Aniversario junto a un centenar de personas que conforman su gran equipo humano. Esta red de farmacias es una sociedad creada y gestionada por farmacéuticos de larga experiencia en el sector con el n de mejorar la calidad de vida de los pacientes gaditanos. Tras diez años de recorrido, cuenta con 25 farma-

cias que respaldan un servicio integral en el que se incluyen la gestión de la farmacia, campañas de marketing comunes, formaciones altamente especializadas, entre otros. Uno de sus

principales objetivos empresariales es ofrecer un servicio de la mejor calidad en momentos altamente competitivos en un mercado globalizado.

“Empezamos siendo ocho farmacias y, a medida que hemos ido ofreciendo servicios y herramientas e caces para la gestión, se han ido incorporando casi una decena de nuevos socios y seguimos creciendo”, apunta el gerente del grupo, Juan Jesús Sevilla.

La

Fundación Teó lo Hernando y

AESEG

rman un convenio de colaboración para promover la formación

La Fundación Teó lo Hernando (FTH) y la Asociación Española de Medicamentos Genéricos (AESEG) han rmado un acuerdo de colaboración que tiene como objetivo principal impulsar actividades formativas en el sector de la industria farmacéutica por dos vías: el reconocimiento por parte de AESEG de titulaciones propias de la FTH que tengan una aplicación práctica para su colectivo de profesionales vinculados y el desarrollo conjunto de nuevos programas.

Uno de los primeros proyectos bajo el paraguas de esta alianza es el nuevo Máster en Industria Farmacéutica, desarrollado por la FTH en colaboración con la Universidad San Pablo CEU, cuya primera edición será este año en Madrid. Este máster tiene como objetivo formar profesionales para los departamentos de calidad y producción industrial, supply chain, regulatory y acceso al mercado desde una perspectiva global.

ne cio de esta industria, con el objetivo de fortalecer su papel en el Sistema Nacional de Salud (SNS).

Informe sobre la Autonomía Estratégica Europea AESEG presentó en Madrid el informe “Autonomía Estratégica Europea: perspectiva del sector de medicamentos genéricos en España”, elaborado para la patronal por la consultora Science & Innovation Link Of ce (SILO). El estudio analiza los retos a los que se enfrenta la industria farmacéutica de medicamentos genéricos en España y propone medidas concretas para mejorar su competitividad y sostenibilidad nanciera en el marco de la autonomía estratégica europea.

Reunión con el Secretario de Estado de Sanidad AESEG se reunió con el Secretario de Estado de Sanidad, Javier Padilla, para presentar una visión completa del sector de los medicamentos genéricos en España y analizar su situación actual. Durante el encuentro, AESEG manifestó la necesidad de aplicar las medidas en be-

enfrenta el sector si no se implementan políticas que apoyen su viabilidad y participación en el mercado.

Entre las principales recomendaciones del informe, se destaca la necesidad de crear incentivos económicos y scales que permitan a las empresas mantener su capacidad productiva a largo plazo.

España destaca por ser uno de los países con mayor capacidad productiva de medicamentos genéricos en Europa, con 21 plantas que operan a pleno rendimiento. Sin embargo, el informe alerta de los riesgos que

“Con un enfoque adecuado en inversión, regulación y colaboración, podemos garantizar que nuestra industria siga siendo una pieza clave en la autonomía estratégica europea”, concluyó Rodríguez de la Cuerda.

Arturo García de Diego, director de la FTH, y Ángel Luis Rodríguez de la Cuerda, secretario general de AESEG.
Javier Padilla entre la presidenta de AESEG, Mar Fábregas, y Ángel Luis Rodríguez de la Cuerda.
David García (SILO), Ángel Luis Rodríguez de la Cuerda (AESEG) y Diego Moñux (SILO).

II

Talent Day de la industria

farmacéutica organizado por el

Cesif-metrodora

La industria farmacéutica en España se encuentra en fase de expansión, impulsada por la búsqueda de nuevos talentos especializados en un sector clave para la economía española. Por ello, es imprescindible la colaboración entre empresas e instituciones educativas para formar y atraer a los nuevos profesionales. Con este objetivo de cooperación, CESIF -Centro de Estudios Superiores de la Industria Farmacéutica perteneciente al grupo metrodora educationcelebró su segundo Talent Day

en Madrid, con la participación de 15 empresas colaboradoras de la entidad y la asistencia de más de 300 alumnos.

Un completo evento Intervinieron Andrea Paz, Early Talent Acquisition Partner en Johnson & Johnson; Inés Martín, responsable de consultoría y selección en el sector Farma y Healthcare en Job Talent by Talent Point, y Diogo Pascoal, Talent Acquisition Manager de L’Oréal España & Portugal.

Además, el evento contó con la participación de destacadas empresas del sector que organizaron actividades como talleres de asesoramiento y encuentros de alumnos con reclutadores. “Estamos muy orgullosos de la acogida que hemos tenido, tanto por parte de las empresas como de los alumnos”, ha a rmado María Valdés, directora de Carreras Profesionales de CESIF-metrodora.

La Fundación Arcoíris inaugura sus nuevas instalaciones

La Fundación Arcoíris (FAI), entidad sin ánimo de lucro, ha inaugurado sus nuevas instalaciones en Alcalá de Henares. Este espacio permitirá ofrecer un ser-

vicio de alta calidad de manipulados industriales en su Centro Especial de Empleo destinado a diseñar, gestionar y ejecutar actividades orientadas a la atención de personas con discapacidad física, mental, intelectual y sensorial.

Judith Piquet Flores, alcaldesa de Alcalá de Henares, e Isabel Ruiz Maldonado, concejala de Turismo y Servicios Sociales, estuvieron presentes en la inauguración, junto con algunos de los patronos de FAI, como Pedro

Trolez Martínez, Amparo Cortina Dorado, Irene Villa y María Jesús González o Helena Boyra. Las nuevas instalaciones de FAI cuentan con una superficie total de más de 6.000m 2, distribuidas en una zona de producción de 3.000m2, dedicada al acondicionado, reacondicionado, montaje, encelofanado y manipulado de productos, una zona de almacenaje de 2.000m2 con capacidad de más de 4.000 palets y 6 muelles de carga, y una zona de oficinas, comedores y vestuarios de 1.350m2 FAI cuenta con 100 trabajadores fijos, de los cuales un 93 % presenta alguna discapacidad.

Las nuevas instalaciones de FAI están ubicadas en la calle Buenos Aires, 13, de Alcalá de Henares.

Cuidados para todas las pieles secas y atópicas

DOBLE ACCIÓN

HID R ATAR RESTAURAR Nº1 D EXERY L Crem a N ENTAS*

Fórmula que hidrata y restaura la barrera cutánea en pieles secas y atópicas

Producto sanitario

No aplicar sobre las heridas, mucosas o en los ojos

Producto cosmético

Campus Pierre Fabre

Eduardo Pastor, reelegido presidente de Cofares con el apoyo del 75,88 % de la Asamblea General

Eduardo Pastor ha sido reelegido como presidente de Cofares con un 75,88 % de apoyos tras la celebración en Madrid de una Asamblea General Extraordinaria.

“Renovar la presidencia de Cofares, que es la mayor fuerza de farmacéuticos comunitarios de España, constituye una enorme responsabilidad y una gran oportunidad para construir una nueva hoja de ruta que garantice el liderazgo, el crecimiento y la estabilidad de nuestra cooperativa”, declara Eduardo Pastor.

En 2023 la cooperativa de distribución farmacéutica de gama completa ha batido récord con unas ventas de 4.061 millones de euros, que supone un crecimiento del 3,4 % y una cuota de mercado del 29,85 %.

Promover el deporte

Cofares rea rma su compromiso con el deporte y la salud inte-

gral de sus empleados y colaboradores mediante la renovación, por segundo año consecutivo, del convenio de colaboración con la Fundación Deporte Alcobendas (FUNDAL) y el Ayuntamiento de Alcobendas. Junto al presidente de Cofares, Eduardo Pastor, han estado presentes en la rma del acuerdo, Rocío García Alcántara, alcaldesa de Alcobendas, Jesús Tortosa, concejal de Deportes del municipio y Ángel Castaño, patrono de FUNDAL.

El convenio mantiene a la cooperativa como socio protector de FUNDAL, lo que permite a sus profesionales seguir disfrutando de bene cios como el acceso en condiciones ventajosas al “Abono Deporte” de Alcobendas y la participación en actividades deportivas destacadas, como torneos de pádel o las iniciativas enmarcadas en la IV Semana de la Mujer.

XXIV Premio Fundación

Cofares

La Asociación Española por la investigación de la Gloméruloesclerosis Focal y Segmentaria (AEGEFYS) y la Fundación Querer han resultado ganadoras del XXIV Premio Fundación Cofares.

La iniciativa premiada de AEGEFYS tiene como objetivo visibilizar la glomeruloesclerosis focal y segmentaria, una enfermedad sin cura actualmente, promoviendo la investigación cientí ca en este campo. La propuesta galardonada de la Fundación Querer pretende impulsar un mejor conocimiento de algunas enfermedades raras infantiles a través del uso de una novedosa técnica de estimulación cerebral no invasiva, la Estimulación Magnética Transcraneal. Con una dotación económica de 12.000 euros que será repartida entre ambas entidades, el Premio Fundación Cofares pone en valor la labor social realizada por parte de personas, entidades u organizaciones a favor de los pacientes y comunidades sociales necesitadas de atención sanitaria.

Asamblea General de Cofares.
Renovación alianza entre Cofares, FUNDAL y el Ayuntamiento de Alcobendas.

La migraña comienza en la infancia y está presente en las distintas etapas vitales, tal y como ha quedado patente en el seminario Lundbeck “Migraña: en cada capítulo de la vida”, celebrado en Alicante.

II Seminario Lundbeck de Migraña

Segundo tipo de cefalea más frecuente en mayores

Se trata de la enfermedad neurológica más prevalente en España, donde más de cinco millones de personas la padecen, de las que un 80 % son mujeres de entre 20 y 40 años. Afecta a aproximadamente al 5-8 % de los varones y al 15-20 % de las mujeres. En la población pediátrica, la migraña tiene una prevalencia entre el 1-3 % entre los 3 y 7 años, y aumenta con la edad

llegando al 8-23 % en adolescentes. Se sitúa como la primera causa neurológica de discapacidad entre los 5 y 19 años.

La migraña es el segundo trastorno de cefalea más frecuente después de la de tipo tensional en los adultos mayores, con una prevalencia en un año de aproximadamente el 10 %. El tratamiento de la migraña engloba tres pilares que, generalmente, deben plantearse de una manera combinada: manejo de los factores que favorecen el paso a migraña crónica, tratamiento sintomático y tratamiento preventivo.

Se publica un estudio sobre el papel de la equinácea en la reducción del uso excesivo de antibióticos

Un metaanálisis histórico, publicado en la reconocida revista científica Antibiotics por 15 científicos internacionales, revela hallazgos sobre el papel de la equinácea en la reducción del uso excesivo de antibióticos.

Se trata del mayor metaanálisis en fitomedicina basado en 30 ensayos aleatorizados y controlados, con 5.652 participantes.

Resultados alentadores

Este nuevo estudio plantea que la equinácea podría reducir el uso de antibióticos hasta en un 80 %, según un análisis de 30

estudios clínicos aleatorizados (RCTs) que incluyeron a más de 5.500 participantes.

El profesor Sebastian Johnston, del Imperial College de Londres y uno de los autores principales del estudio, afirma: “este análisis reporta reducciones sustanciales en las infecciones respiratorias (IR) y sus complicaciones, así como impresionantes efectos en la reducción del uso de antibióticos mediante el consumo de equinácea”.

El metaanálisis examinó la incidencia de las IR, la aparición de complicaciones y la necesidad asocia-

da de prescribir antibióticos. El Dr. Giuseppe Gancitano, de la Universidad de Florencia, destacó los resultados: “la equinácea redujo la incidencia de resfriados y gripes típicas en un 32 %, las recurrencias en un 40 % y las complicaciones de estas enfermedades en un 56 %. Además, el uso de equinácea resultó en una reducción del 40 % en la prescripción de antibióticos y una reducción del 70 % en el total de días de uso de antibióticos. Aunque no todos los productos de equinácea mostraron los mismos efectos, algunos alcanzaron hasta el 80 % de efectividad”.

Dr. Rogelio Leira (Hospital Clínico Univ. Santiago de Compostela), Sara Montero (Lundbeck Iberia), Dra. Susana Gómez-Lus (Lundbeck Iberia), Dr. Pablo Irimia (Clínica Univ.de Navarra) y Dra. Sonia Santos (Hospital Clínico Univ. Lozano Blesa de Zaragoza).

APIVITA BEEVINE ELIXIR

REACTIVA EL COLÁGENO

BEEVINE ELIXIR de APIVITA recupera el equilibrio del colágeno de una piel joven. Potenciada con la patente mundial PROPOLIFT complex y enriquecida con colágeno vegetal, proporciona la solución de nitiva para rellenar las arrugas, rede nir el óvalo facial, mejorar la rmeza de la piel y uni car el tono.

Con el paso de los años, la producción natural de colágeno de la piel disminuye drásticamente, lo que provoca la intensi cación de los signos de la edad. Los tipos de colágeno más importantes son el tipo I, clave para una piel rme y resistente, y el colágeno tipo III, crucial para la elasticidad de la piel. APIVITA crea una nueva perspectiva sobre esta temática, demostrando que no solo los niveles de colágeno son importantes en esos mecanismos cutáneos de la juventud, sino que el equilibrio entre el colágeno tipo I y III es la clave para el mantenimiento de la microarquitectura cutánea.

PATENTE

PROPOLIFT COMPLEX

Una combinación exclusiva de APIVITA, con propóleo, un poderoso antioxidante, donde se le añaden a sus propiedades extraordinarias el poder protector de los polifenoles de la vid, para crear la patente Propolift Complex.

Gracias a la experiencia de APIVITA en sistemas de liberación cutánea, se ha logrado micro formular los valiosos ingredientes del PROPOLIFT complex para una absorción óptima e inmediata y una e cacia que dura hasta 8 horas. Los polifenoles de la vid se encapsulan en ciclodextrinas y liposomas, lo que permite una difusión constante y una mayor penetración en la piel. Esto proporciona un escudo protector contra los radicales libres causados por la radiación UV y la contaminación ambiental, impulsando

la producción de colágeno y elastina mientras restaura los mecanismos de juventud.

Colágeno Vegetal. Para reforzar los mecanismos de rejuvenecimiento de la piel, esta fórmula está enriquecida con colágeno vegetal (aminoácidos de origen vegetal), una alternativa natural y sostenible a la conocida fuente de juventud de la piel.

Niacinamida, un ingrediente clave que uni ca el tono de la piel y aporta luminosidad.

BEEVINE ELIXIR Sérum Lift Activador de Firmeza es un concentrado sutil con textura ultraligera que deja la piel con un aspecto más liso, rme y luminoso. Ofrece un efecto tensor inmediato, proporcionando rmeza y rede niendo el óvalo facial. Su fórmula es NO COMEDOGÉNICA , no obstruye los poros.

La gama BEEVINE ELIXIR ofrece una rutina completa de cuidado facial con un contorno de ojos & labios lift arrugas, un sérum activador de rmeza, un aceite facial rmeza & reparación, una crema lift arrugas & rmeza en dos texturas adaptadas a cada tipo de piel y una crema de noche recuperación intensa.

APIVITA, el a su compromiso, ofrece BEEVINE ELIXIR, con fórmulas clean y con hasta un 98 % de origen natural, seguras para la piel y para el planeta. Los envases son reciclables* y contienen un alto porcentaje de materiales reciclados**.

* Excepto el gotero. ** Del 30 al 97 % de plástico o vidrio reciclado.

Los Premios Somos Pacientes cumplen una década de reconocimiento a la labor del movimiento asociativo

La plataforma Somos Pacientes ha celebrado la décima edición de sus premios en el Palacio Neptuno de Madrid.

Durante el acto, que sirvió también de homenaje a las víctimas de la DANA que sufrió la Comunidad Valenciana, se presentó la nueva plataforma web Somos Pacientes.

El Premio a la Personalidad Destacada por su Apoyo al Paciente ha recaído en el cómico y escritor Ángel Martín, que sufrió un brote psicótico en 2017. Tras su experiencia, el actor decidió compartir su vivencia para visibilizar, desestigmatizar y normalizar las condiciones de salud mental. De él se ha destacado “su capacidad para tratar el tema con sensibilidad y humor, que lo han convertido en una voz importante en el ámbito de la salud mental en España”.

Ganadores de los Premios Somos Pacientes

• Categoría Pacientes. Iniciativa de servicio al paciente. Iniciativa bbMiradas: diagnóstico e intervención del autismo en bebés menores de 36 meses, de la Fundación Miradas.

• Categoría Pacientes. Iniciativa de servicio al cuidador. Casa de acogida de la Asociación de Padres, Familiares y Amigos de Niños Oncológicos de Castilla y León (Pyfano).

• Categoría Pacientes. Iniciativa de divulgación, concienciación social y/o fomento de la investigación. Tengo Alzheimer, pero sigo siendo yo, de la Confederación Española de Alzheimer y otras demencias (Ceafa).

• Categoría Pacientes. Iniciativa preferida por los usuarios de Somos Pacientes, elegida de entre las iniciativas nalistas mediante votación online con la participación casi 24.000 votantes. La iniciativa ganadora ha sido Descubriendo el mieloma múltiple: la inmunoterapia, de la Comunidad Española de Pacientes con Mieloma Múltiple.

• Categoría Sociedad. Iniciativa de servicio al paciente. Canal de YouTube del Hospital General Universitario Gregorio Marañón.

• Categoría Sociedad. Iniciativa de fomento de la participación del paciente en el sistema sociosanitario El valor de enfrentarse a la escuela: la inclusión de jóvenes con enfermedades y distro as neuromusculares y otras enferme-

dades raras en la educación, de la Fundación Isabel Gemio.

• Categoría Sociedad. Iniciativa de protección social para los pacientes Proyecto Gatekeeper, del Instituto de Investigación Sanitaria Biobizkaia.

Informe Facts and Figures

La industria farmacéutica es líder en inversión en I+D a nivel mundial, con un porcentaje del 30 % de sus ingresos anuales dedicados a esta partida. Esto supuso cerca de 270.000 millones de euros en 2021, según los datos recogidos en el informe Facts and Figures 2024 de la Federación Internacional de la Industria Farmacéutica Innovadora (Ifpma), que recoge la contribución de la industria a nivel global. El documento recoge la evolución, incluyendo previsiones, de la inversión de las 50 principales compañías farmacéuticas entre 2012 y 2026, con cantidades que se duplicarán al término del período. En 2023, la industria presentó 12.425 solicitudes de patentes internacionales y en octubre de 2024 tenía más de 12.700 medicamentos en distintas fases de desarrollo. El sector da trabajo a casi 75 millones de personas en el mundo entre empleos directos, indirectos e inducidos. Más de un millón se dedican a la investigación de nuevos tratamientos.

Los ganadores de los X Premios de Somos Pacientes.

Plantas medicinales para apoyar la salud hepática - Cuarto Capítulo

ALCACHOFERA

(CYNARA SCOLYMUS L)

EN LA ACTUALIDAD, DIVERSOS ESTUDIOS CIENTÍFICOS

RESPALDAN LA EFICACIA DE LA ALCACHOFA COMO HEPATOPROTECTORA, GRACIAS A SU CONTENIDO DE ANTIOXIDANTES Y COMPUESTOS COMO LA CINARINA, QUE SE HA ASOCIADO CON BENEFICIOS PARA EL HÍGADO.

Ahora hablaremos de la alcachofa o (Cynara scolymus) que es una planta originaria de la región mediterránea que ha cautivado a culturas milenarias por su exquisito sabor y sus notables bene cios para la salud. Esta planta pertenece a la familia de las Asteraceaes y ha ganado reconocimiento tanto en la cocina como en la medicina tradicional.

Los antiguos egipcios y romanos apreciaban la alcachofa tanto por sus cualidades culinarias como por sus bene cios para la salud. En la antigua Grecia, el lósofo y médico Hipócrates la mencionó por sus propie dades diuréticas.

Uno de los primeros escritos que menciona las propiedades medicinales de la alcachofa es “De Materia Médica”, escrito por el médi co griego Pedanius Dioscórides en el si glo I d.C. Dioscórides describió las pro piedades diuréticas y bene cios para el hígado de la alcachofa. Estudios cientí cos actuales res paldan la e cacia de la alcachofa como hepatoprotectora, gracias a su contenido de antioxidantes y compuestos como la cinarina, que se ha asociado con bene cios para el hígado. Hay que destacar

que lo que tomamos como verdura, es la or de la alcachofa y que son las hojas las que constituyen la parte medicinal de la planta.

Principales principios activos de la alcachofa

En las hojas de la alcachofa se encuentran numerosos activos entre los que destacan:

• Ácidos fenólicos: siendo el más importante el ácido clorogénico. Con propiedades antioxidantes, antiin amatorias e hipoglucemiantes.

• Cinarina: es uno de

estudiados de la alcachofa. Tiene propiedades hepatoprotectoras, ayudando a mantener la salud del hígado. Además, puede contribuir a la reducción de los niveles de colesterol y mejorar la función biliar.

• Inulina: un tipo de bra soluble presente en la alcachofa que tiene efectos prebióticos, fomentando el crecimiento de bacterias be ne ciosas en el intestino.

Colecciona los mejores consejos en Dermocosmética

LA ALCACHOFA ACTÚA COMO UN ESCUDO PARA EL HÍGADO, AYUDANDO A PREVENIR EL DAÑO CELULAR, REDUCIENDO LA CARGA OXIDATIVA Y PROMOVIENDO LA REGENERACIÓN CELULAR. CONTIENE ÁCIDOS FENÓLICOS, CINARINA, INULINA, VARIOS TIPOS DE FLAVONOIDES, VITAMINAS, MINERALES Y FITOESTEROLES.

• Flavonoides: la alcachofa contiene varios tipos de avonoides con propiedades antioxidantes y antiin amatorias, como luteolina, quercetina y apigenina.

• Vitaminas y minerales: la alcachofa es rica en nutrientes como vitamina C, vitamina K, folato, magnesio y potasio.

• Fitoesteroles: la alcachofa contiene toesteroles, que son sustancias vegetales que tienen una estructura similar al colesterol; entre ellos desta can, el beta-sistosterol, campesterol y estigmasterol. Estos pueden ayudar a re ducir los niveles de colesterol en sangre.

Propiedades de la alcachofa

Nos centraremos en sus propiedades he patoprotectoras.

La alcachofa ha ganado reconocimien to como un notable protector hepático debido a su capacidad para preservar y regenerar las células del hígado. Esta propiedad se atribuye a varios compuestos presentes en la alcachofa, como los ácidos fenólicos y los principios amargos.

• Ácidos Fenólicos: los ácidos fenólicos son antioxidantes potentes que se encuentran en la alcachofa. Su función principal es neutralizar los radicales libres, moléculas inestables que pueden causar daño celular y contribuir al estrés oxidativo en el hígado. Al reducir la carga

ayudan a preservar la integridad de las células hepáticas, previniendo los efectos nocivos de las toxinas y el daño causado por los radicales libres.

• Principios Amargos: los principios amargos presentes en la alcachofa, incluida la cinarina, han demostrado tener propiedades hepatoprotectoras. Estos compuestos amargos estimulan la producción y liberación de bilis, un líquido fundamental para la digestión de las grasas y la eliminación de toxinas del hígado. Además, se ha observado que los

principios amargos tienen una acción regenerante en las células hepáticas, promoviendo la recuperación y el mantenimiento de la salud hepática.

En conjunto, la alcachofa actúa como un escudo para el hígado, ayudando a prevenir el daño celular, reduciendo la carga oxidativa y promoviendo la regeneración celular. Estos efectos hacen de la alcachofa una opción muy valiosa para aquellos que buscan apoyar la salud del hígado de manera natural.

¡No te pierdas la continuación! 4/6

PLANTAS MEDICINALES

Jorkine

Teijera

LA HIDRATACIÓN DE

LA PIEL ES ESENCIAL

PARA LA PIEL CON

DERMATITIS ATÓPICA. TAMBIÉN HAY QUE

TENER CUIDADO CON LA ROPA QUE ESTÁ

EN CONTACTO CON LA PIEL Y UTILIZAR

LIMPIADORES

SUAVES, SIN JABÓN, ASÍ COMO AGUA TIBIA.

CUIDADOS DE ESTAS PIELES

Establecer una rutina básica de cuidado de la piel puede ayudar a prevenir los brotes de eccemas. Los siguientes consejos pueden ayudar a reducir los efectos:

ser preferiblemente de algodón y evitar los tejidos de lana y de bra sintética. El lavado de la ropa del paciente debe ser realizado con jabón no detergente o detergente suave y no deben aplicarse suavizantes.

• La hidratación de cualquier tipo de piel es fundamental, pero en el caso de pieles atópicas se vuelve extrema. Utilizar cremas emolientes o hidratantes al menos dos veces al día. Estas ayudan a la conservación del manto lipídico o graso de la piel con el n de fortalecer la función barrera y disminuir así la aparición de los eccemas. Preferiblemente se recomienda el uso de cosméticos que no con tengan perfumes, dado que son irritantes para las pieles atópicas. Será importante también que contengan una alta cantidad de lípidos o ceramidas que ayuden a res taurar el manto graso de la piel, contri buyendo a aumentar el efecto protector de la barrera cutánea. La sensación de frescor puede ayudar a calmar el picor, por lo que guardar la crema hidratante en la nevera puede suponer un alivio adicional.

• La ropa juega un rol importante en la evolución de la DA. La ropa interior, la ropa de cama, y, en general, toda ropa en contacto con la piel (incluida la de los familiares en contacto con el niño) debe

• Tomar un baño o una ducha a diario. Usar agua tibia, máximo 35 grados, en lugar de agua caliente, y reducir el tiempo de la ducha o del baño a unos 5-8 minutos.

• Utilizar un limpiador suave, sin jabón. Elegir un limpiador que no contenga tintes, alcohol ni fragancias. En el caso de los niños pequeños, por

para bañarlos; no es necesario usar jabón ni baños de espuma. El jabón puede ser particularmente irritante para la piel de los niños pequeños. Para las personas de todas las edades, los jabones desodorantes y los antibacterianos pueden eliminar demasiados aceites naturales de la piel y resecarla. No utilizar esponja, usar las manos.

La dermatitis atópica no tiene cura - Tercer Capítulo
Colecciona los mejores consejos en Dermocosmética

EN

LAS RUTINAS COSMÉTICAS DE LAS PIELES ATÓPICAS,

GENERALMENTE SE RECOMIENDAN PRINCIPIOS ACTIVOS QUE EVITEN LA PÉRDIDA DE HUMEDAD Y AYUDEN A PROTEGER LA BARRERA CUTÁNEA.

• Después del baño, hay que secarse con una toalla suave dando toquecitos suaves. Aplicar un humectante mientras la piel aún está húmeda (dentro de los primeros tres minutos).

• Mantener las uñas bien recortadas. Usar guantes suaves al dormir si el rascado de noche es un problema.

• En las rutinas cosméticas, gene ralmente se recomiendan principios activos que eviten la pérdida de hume dad y ayuden a proteger la barrera cu tánea. De los mejores aliados hidratantes para las pieles atópicas, tendremos el ácido hialurónico, cremas que contengan glicerina que ayuden a la retención de agua y/o alantoína o pantenol como ingredientes calmantes, especialmente en la rutina de mañana. En la rutina de noche, el uso de niacinamida y ácido azelaico a concentraciones no muy elevadas pueden ser de vital importancia por su alta tolerancia y sus propiedades antiinamatorias. Y van a ayudar a igualar el tono y textura de la piel, previniendo así la aparición de manchas e hiperpigmentaciones.

• El uso de activos de moda como la vitamina C o el retinol no está prohibido en estos casos, pero debe evitarse en épocas de brote y fase de control.

• Seguir un uso racional de los fármacos. Los corticoides tópicos son la clave del tratamiento. Aplicarlos 2 veces al día es e caz en la mayoría de los pacientes.

• Los corticosteroides siempre deben suspenderse una vez controlada la in amación de la piel y nunca deben usarse para prevenir las recurrencias.

Cuándo contactar a un profesional médico

• La dermatitis atópica no mejora con los cuidados en el hogar.

• Los síntomas empeoran o el tratamiento no funciona.

• Hay signos de infección (como ebre, enrojecimiento o dolor).

• Si existe eritrodermia (eritema que cubre más del 70 % de la super cie corporal); es raro, pero puede aparecer cuando la dermatitis atópica es grave.

3/3

Rafa Nadal presenta las claves y valores para tener éxito en la industria del deporte

Rafa Nadal ha tenido un encuentro con estudiantes de la UAX

Rafa Nadal School of Sport. Recién jubilado del tenis profesional, ha visitado el campus de UAX Madrid Chamberí, para

participar en el evento “Rafa Nadal: Más allá del tenis”.

Liderazgo basado en valores

Rafa Nadal ha puesto de relieve la importancia de cultivar un liderazgo basado en valores como la capacidad de mejora constante, la resiliencia, así como la con anza en el equipo. Estos valores son indispensables para triunfar no solo en la esfera deportiva de las competicio-

Proyecto de

nes, sino en todas las vertientes profesionales de la industria del deporte. “No creo que haya una sola receta, pero sí hay cosas que ayudan, como tener una buena formación, rodearte de personas que tengan un impacto positivo en la vida, así como la determinación, la perseverancia, tener la humildad para escuchar y querer seguir aprendiendo de gente con más experiencia. Y, evidentemente, la disciplina y capacidad de trabajo”, ha apuntado. También ha señalado el papel que juega la tecnología para la salud, el negocio y el deporte.

RD de Precios y Financiación: FEFE pide un precio mínimo de 3,5 euros para los medicamentos

El Ministerio de Sanidad ha sacado a consulta pública previa el borrador del Real Decreto (RD) de Precio y Financiación de Medicamentos, ante el que FEFE plantea el establecimiento de un precio mínimo, en el que los medicamentos por debajo del mismo, deberían quedar excluidos del sistema de precios de referencia, contar con un margen único y tener la capacidad de jar sus precios libremente, al menos una vez al año. La propuesta de FEFE tiene la ventaja de que mantiene la rentabilidad para todos los actores,

incluida la farmacia, fomenta la libre competencia, libera de cargas administrativas al sistema de precios de referencia, e incluso baja algo el precio de venta al público nal en muchos medicamentos.

Propuesta novedosa del Observatorio del Medicamento

Se re ere a los medicamentos que se encuentren por debajo de un cierto precio, por ejemplo 3,5€ PVL (precio de venta del laboratorio).

El margen de farmacia para todos los medicamentos por debajo del precio máximo será de 1€ con lo que, aun en el precio máximo, sería algo inferior que el actual 5,07 PVP en lugar de 5,46 PVP, pero garantiza la rentabilidad de todos esos medicamentos.

Rafa Nadal y la presentadora Susana Guasch, durante la entrevista.

INNOVACIÓN DERMATOLÓGICA

EN EL TRATAMIENTO DE LA PIEL ATÓPICA

Eucerin® relanza toda su gama para el cuidado de la piel atópica de adultos y niños

La dermatitis atópica (DA) es hoy en día una de las enfermedades dermatológicas con más incidencia en el mundo desarrolado1. En España, alrededor de 1,5 millones de personas1 padecen la enfermedad y un 30% de los pacientes desarrollarán una dermatitis atópica de moderada a grave2,3, afectando a un 20% de los niños y hasta un 10% de los adultos4. En los últimos 30 años, la incidencia de la DA se ha duplicado y ya es la segunda causa más frecuente de consulta dermatológica4

Las manifestaciones más comunes de esta patología son: sequedad extrema, picor intenso y lesiones eczematosas recurrentes con una presentación clínica heterogénea.

UN NUEVO ENFOQUE PARA EL CUIDADO DIARIO DE LA PIEL ATÓPICA

Para el cuidado de esta condición de la piel, Eucerin® ha relanzado toda su gama AtopiControl, tanto para el cuidado diario como para el tratamiento de los brotes. La nueva imagen renovada no solo cuenta con fórmulas mejoradas, sino también con un diseño más visual y sostenible.

La gama AtopiControl de Eucerin® ofrece cuidados especí cos para rostro, cuerpo y manos, enfocadas en la higiene e hidratación de la piel atópica. Sus fórmulas innovadoras ayudan a calmar la piel, reducir la sequedad y aliviar el picor.

1 Weidinger S et al. Atopic Dermatitis. Nat Rev Dis Primers 2018;4(1):1.

2 Rev Pediatr Aten Primaria vol.11 supl.17 Madrid oct./dic. 2009

3 Langan SM, Irvine AD, Weidinger S. Atopic dermatitis. Lancet. 2020 Aug 1;396(10247):345-360. doi: 10.1016/S0140-6736(20)31286- 1. Erratum in: Lancet. 2020 Sep 12;396(10253):758.

Su última novedad, AtopiControl Hidroloción Calmante, representa un avance en la rutina de los pacientes con piel atópica. Se trata de una loción sin perfume y con textura ultraligera, que se absorbe en solo 60 segundos 5 y proporciona alivio inmediato del picor, hidratación duradera y regenera la barrera cutánea.

Su textura ultraligera es fácil de aplicar durante todo el año, incluidos los meses más calurosos, así como en las partes del cuerpo con vello, mejorando la experiencia de uso del producto y facilitando el cuidado diario. Puede usarse en combinación con otros productos de la gama AtopiControl y es apta para adultos y niños a partir de 3 años.

Los estudios clínicos de Eucerin® han demostrado que el uso diario de AtopiControl Hidroloción Calmante ofrece resultados signi cativos:

• El 87% de los pacientes muestran una mejora en su condición atópica6

• Un 44%, una mejora en la calidad de vida6.

• Un 40% mejoraron la sensación de picor 6

Con esta innovación, Eucerin® refuerza su compromiso con el cuidado dermatológico, ofreciendo soluciones que facilitan el cuidado diario y mejoran la calidad de vida de los pacientes que sufren DA.

4 Global burden of disease project of 2017 data. Institute for Health metrics and Evaluation. University os Washintong. Seatlle (usa)

5 Indicado en el KV.

6 Estudio con 120 voluntarias con dermatitis atópica leve a moderada.

La Revolución para la Piel Atópica

Textura ultraligera y rápida absorción

Absorbe en menos de

A m

El Teatro Eslava de Madrid acogió en diciembre la Entrega de Galardones de la 25ª edición del Gran Premio a la Innovación, en la que se dieron a conocer las 52 candidaturas que han sido Elegidas Producto del Año 2024 tras un exhaustivo estudio a más de 10.000 personas representativas de la población española. La Ceremonia de Entrega de Premios, conducida por Blanca Gener, directora general del certamen, y el Mag Lari, congregó a más de 300 invitados, entre los que se encontraban

los máximos representantes de las empresas premiadas, entre otras personalidades, convirtiéndose en la gran esta de la innovación. El acto fue inaugurado por el Concejal del Área de Innovación y Emprendimiento del Ayuntamiento de Madrid, Ángel Niño.

Los galardonados en España han sido designados tras un estudio realizado en octubre entre el panel de consumidores de Netquest y Samplia a una selección de productos nuevos lanzados al mercado entre el 1 de enero de 2023 y el 31 de octubre de 2024 en los sectores de Alimentación, HigieneCosmética, Droguería,

52 innovaciones elegidas Producto del Año en la 25ª edición del Gran Premio a la Innovación

Electrodomésticos, Hogar, Parafarmacia, Bazar y Servicios. Los productos premiados se identi carán durante todo el año 2025 con el logotipo Elegido Producto del Año en su comunicación.

Ganadores

Entre las diferentes categorías, destacan, en complementos alimenticios a base de colágeno, Epaplus Arthicare Vegetal, de Peroxfarma; y multivitamínicos, la línea de vitaminas Gloryfeel.

En cuidado capilar, consiguió el premio el acondicionador Leave-In de Farline.

En protección solar, ganó Avène Ultra Fluido Invisible SPF 50 de Laboratorios Avène/Pierre Fabre.

En jación de la dentatura, ha sido premiado Kukident Ultimate & Kukident Fijación todo el día (Procter & Gamble España).

Otros productos galardonados son: la Crema Gel Hyaluronic Hidra Glow Agrado Skin Positive de Agrado Cosmetics (cuidado facial), Signal Integral 8 (dentífricos) de Unilever, Venus Gillette para ingles y zona íntima (depilación) de P&G, Byly Citrus 100h de Laboratorios Byly y WaterWipes (toallitas húmedas), entre otros.

El Mag Lari, uno de los conductores de la ceremonia de entrega de premios.

SEFAC rma un convenio de colaboración con los

Colegios

O ciales de León y Bizkaia

La Sociedad Española de Farmacia Clínica, Familiar y Comunitaria (SEFAC) y el Ilustre Colegio O cial de Farmacéuticos (COF) de León han rmado un convenio para estrechar la colaboración entre ambas entidades. El convenio ha sido rmado por Vicente J. Baixauli, presidente de SEFAC, y Montserrat Ávila Escribano, presidenta del COF León.

Asimismo, SEFAC y el COF de Bizkaia (COFBi) también han rmado un convenio para es-

trechar la colaboración entre ambos. Vicente J. Baixauli y Juan Uriarte García Borreguero, presidente del COFBi, han rmado el acuerdo.

Potenciar la colaboración

Ambos convenios tienen como objeto establecer un marco de colaboración entre SEFAC y los COF en actividades de formación relacionadas con aspectos cientí cos-profesionales del ejercicio en farmacia comunita-

La infección por virus respiratorio sincitial (VRS) ocasiona un importante impacto en los sistemas de salud debido a la morbilidad, la tasa de hospitalizaciones, las complicaciones, la discapacidad funcional y la mortalidad que origina, así como la contribución a Ia resistencia a los antimicrobianos.

Varias sociedades cientí cas a nivel nacional, que agrupan a especialistas implicados en la asistencia de este tipo de pacientes, se han unido en la elaboración del Documento de posicionamiento multisocietario sobre vacunación frente al VRS en el

ria. Se impulsarán actividades como cursos, talleres o seminarios sobre temas de atención farmacéutica y servicios profesionales que puedan realizarse y ofrecerse desde la farmacia, así como estudios de investigación en el ámbito de la farmacia comunitaria.

Sociedades cientí cas implicadas en la atención de personas con infección por VRS se unen ante este problema

adulto, en el que se analizan tanto la propia enfermedad, como herramientas existentes frente a la prevención del VRS en adultos. Se trata de una actividad colaborativa, coordinada por el Grupo de trabajo de Salud Pública 2.0 de la Sociedad Española de Médicos Generales y de Familia (SEMG), y en la que participan expertos de la Sociedad Española de Médicos de Atención Primaria (SEMERGEN); la Sociedad Española de Medicina de Familia y Comunitaria (semFYC); la Sociedad Española de Farmacia Clínica, Familiar y Comunitaria (SEFAC); la Sociedad Es-

pañola de Neumología y Cirugía Torácica (SEPAR); el Grupo de Respiratorio en Atención Primaria (GRAP) y la Asociación Nacional de Enfermería y Vacunas (ANENVAC).

La principal nalidad del documento es ayudar en la toma de decisiones a los profesionales sanitarios en la práctica clínica diaria, mediante la implementación de medidas preventivas efectivas, como la vacunación y la continuidad de otras, como la higiene de manos y el uso de los equipos de protección individual para controlar las infecciones por VRS.

SEFAC y el COF de León.

Nueva edición de Women 360º Congress

Guillem Íñiguez, director general del Institut de Formació Continua de la Universitat de Barcelona IL3-UB, coorganizador del evento, y Rosa Cuscó, directora y fundadora del Women 360° Congress, inauguraron la nueva edición del congreso, en el marco de su décimo aniversario, que tuvo lugar en noviembre en el Paraninfo de la Universidad de Barcelona bajo el lema “Talento sénior, un valor en alza”. En 2022, las personas de 60 años o más representaban el 9,54 % de la población mundial, un porcentaje que se ha duplicado en las últimas 6 décadas, según los datos del Banco Mundial. En 2030, 1 de cada 6 personas habrá superado los 60 años. Para dar respuesta a esta cuestión, más de 250 mujeres se reunieron para debatir, de manera multidisciplinar, sobre cómo se enfrentan al mundo laboral, empresarial, emocional o sexual en esta etapa de la vida.

Mesas redondas y talleres

sidad-Empresa para el desarrollo y retención del talento en IL3-UB. Junto a ella, María José Valenzuela, psicóloga y directora corporativa de RRHH en Dentaid, y Panaita García, Corporate Marketing & Digital Business, destacaron la importancia de la salud bucal en las edades maduras.

Valérie Tasso, reconocida escritora y terapeuta sexóloga, habló, desde un punto de vista sociológico y centrado en la diversidad, de cómo afectan los estereotipos a la sexualidad de las mujeres y puntualizó que más de la mitad de las mujeres cuando llegan a la menopausia dejan de disfrutar del sexo.

La primera mesa redonda fue sobre salud sénior, moderada por Raquel Cervera, impulsora de alianzas y proyectos Univer-

La Dra. Elena Prada, especialista en fertilidad y reproducción asistida en Fertilab Barcelona, habló de los nuevos modelos de familia y el porqué del aumento en la tasa de infertilidad.

Eva María Melendo, especialista en geriatría y profesora asociada al departamento de Enfermería de la UB, profundizó en el sistema sanitario y los recursos sociales especializados en personas mayores y en cómo pueden mejorar su calidad de vida.

hincapié en la bajada de estrógenos y la pérdida de colágeno y elastina a partir de los 50. Para nalizar, Gemma Romaguera, coach de salud integrativa, diseñó un “Taller de Gratitud”.

Sara Vayreda, licenciada en ciencias de la salud y directora global de formación de Martiderm, habló de los imprescindibles de la piel en las diferentes etapas de la vida, haciendo

La segunda parte de la reunión se dedicó a un amplio debate sobre el talento sénior. El debate estuvo moderado por Cristina Martí, responsable de marketing de producto en IL3, y contó con Cèlia Hil, consultora y mentora en marca digital y profesional en LinkedIn; Araceli Higueras, coach y asesora con una amplia trayectoria en Londres; Marta Larraz, consultora y formadora en credibilidad de marca, y Mónica García, responsable de RRHH de Volkswagen Group Services Spain.

Stefano Melis, consultor y mentor, especializado en el crecimiento y desarrollo de microempresas, cerró con su ponencia “Conecta y crea otras formas de hacer negocio”.

La Dra. Montserrat Puig, vicerrectora de Igualdad y Género de la Universidad de Barcelona, clausuró el acto.

Victòria Alsina, Rosa Cuscó y Guillem Íñiguez, coorganizadores.

ESPECIAL DEPORTISTAS

Productos esenciales para deportistas pre y post entrenamiento

Guía de asesoramiento en la o cina de farmacia

La o cina de farmacia comunitaria puede desempeñar un papel fundamental en la mejora del rendimiento y la recuperación de los deportistas a través de un asesoramiento especializado en suplementos pre y post entrenamiento, asegurándonos de formar al equipo correctamente para aconsejar de manera individualizada a cada paciente.

El rendimiento deportivo y la recuperación física dependen en gran medida de una adecuada nutrición y suplementación. La o cina de farmacia, como punto de referencia de salud, tiene la oportunidad de ofrecer asesoramiento especializado en productos pre y post entrenamiento, optimizando el rendimiento del deportista y facilitando su recuperación. Como farmacéutico comunitario y nutricionista con amplia experiencia en el sector y en la práctica de deportes de resistencia, este artículo busca servir como guía práctica para que las farmacias puedan recomendar de manera efectiva los productos adecuados a cada tipo de deportista.

Los consejos para esta guía son generales, siempre deberíamos individualizar según las patologías, medicación, condición física del paciente y ante cualquier duda con supervisión médica.

La importancia de la calidad en la selección de los productos

Para garantizar la seguridad y e cacia de los productos recomendados, es fundamental seleccionar laboratorios de con anza, que certiquen la calidad de sus componentes y cumplan con normativas estrictas en la fabricación de suplementos. La certi cación de ingredientes como la creatina, aminoácidos y proteínas garantiza que los deportistas reciben productos puros y sin contaminantes. Es responsabilidad del farmacéutico evaluar la procedencia de los productos y ofrecer opciones avaladas por organismos de control de calidad, prioritariamente europea como la EFSA.

“Los pre-entrenos ayudan a mejorar la energía y el rendimiento con ingredientes como cafeína, beta-alanina y creatina”

Pre-entrenamiento

OPTIMIZANDO EL RENDIMIENTO

DESDE LA FARMACIA

El pre-entrenamiento consiste en una serie de suplementos que se consumen antes de la actividad física con el objetivo de mejorar el rendimiento, retrasar la fatiga y optimizar la concentración.

COMPONENTES CLAVE EN UN PRE-ENTRENO

Los más habituales suelen ser:

1. Cafeína: aumenta el estado de alerta y mejora el rendimiento físico y cognitivo. En deportes como el powerlifting y el culturismo, puede ayudar a mejorar la potencia y resistencia muscular.

2. Creatina: ayuda a la generación rápida de ATP, siendo ideal para ejercicios de fuerza explosiva y alta intensidad.

3. Beta-alanina: reduce la fatiga muscular y mejora el rendimiento en ejercicios de resistencia intermitente. Importante su posología si se administra diariamente como mono componente.

4. L-Citrulina: mejora la vasodilatación, incrementando el flujo sanguíneo y la entrega de oxígeno a los músculos. En ocasiones se utilizan otros vasodilatadores o de forma conjunta, como taurina, arginina o nitratos.

5. Vitaminas del Grupo B: contribuyen al metabolismo energético y reducen el cansancio y la fatiga.

6. Carbohidratos rápidos: aportan energía inmediata en deportes de alta demanda glucogénica, como el ciclismo y el running.

ESPECIAL DEPORTISTAS

El rendimiento deportivo y la recuperación física dependen en gran medida de una adecuada nutrición y suplementación.

La hidratación es clave tras el ejercicio.

ESPECIAL DEPORTISTAS

La recuperación muscular, hidratación y depósitos de glucógeno son clave tras el ejercicio: combinar proteínas de calidad con carbohidratos líquidos para restaurar el glucógeno”

RECOMENDACIÓN FARMACÉUTICA

• Para entrenamientos explosivos (pesas, HIIT): recomendar pre-entrenos con cafeína, creatina y beta-alanina.

• Para deportes de resistencia (maratón, ciclismo): optar por productos con L-citrulina, carbohidratos rápidos y electrólitos.

• Para clientes sensibles a estimulantes: ofrecer versiones sin cafeína con aminoácidos esenciales y citrulina.

Post-entrenamiento CLAVES PARA UNA RÁPIDA RECUPERACIÓN

El post-entrenamiento o recovery es fundamental para evitar el catabolismo muscular y reponer las reservas de glucógeno. La selección de productos adecuados in uye directamente en la adaptación y mejora del rendimiento deportivo, así como la disminución del riesgo de lesión.

COMPONENTES CLAVE EN UN POST-ENTRENO

1. Proteína de suero (Whey Protein): su rápida absorción favorece la reparación muscular tras el ejercicio.

2. Carbohidratos de rápida asimilación: como la maltodextrina o amilopectina, esenciales para reponer el glucógeno muscular en deportes de larga duración.

3. BCAA (Aminoácidos de Cadena Rami cada): reducen el catabolismo y aceleran la recuperación muscular.

4. L-Glutamina: ayuda a la recuperación y reduce el daño muscular tras el ejercicio intenso.

5. Electrólitos (sodio, magnesio, potasio): claves en la rehidratación y prevención de calambres y lesiones.

RECOMENDACIÓN FARMACÉUTICA

• Para sesiones de entrenamiento de fuerza intensa: recomendar proteínas de alta calidad combinadas con BCAA.

• Para deportes de resistencia: optar por combinaciones de carbohidratos y proteínas en proporciones adecuadas (1:1, 3:1 o 4:1 según la duración e intensidad del mismo).

• Para deportistas con alta sudoración: incluir suplementos ricos en sodio y electrólitos.

Consideraciones sobre medicación y patologías

previas

El farmacéutico debe tener en cuenta las patologías previas y la medicación de cada deportista antes de recomendar un suplemento.

Por ejemplo:

• Diabéticos: supervisar el contenido de carbohidratos y azúcares en suplementos pre y post entreno.

• Hipertensos: evitar suplementos con altas dosis de cafeína o estimulantes. Sería conveniente realizarles un control de su tasa de sudoración.

El asesoramiento nutricional en la farmacia comunitaria representa una gran oportunidad para potenciar la salud y el rendimiento de los deportistas.

• Pacientes en tratamiento con anticoagulantes: revisar posibles interacciones con suplementos como omega-3 y L-arginina u otros vasodilatadores.

• Pacientes oncológicos: valorar la no utilización de glutamina, creatina, nitratos y vasodilatadores según patologías y con supervisión médica.

Implementación práctica en la farmacia

1. Entender el per l del cliente: preguntar por su actividad física, nivel de entrenamiento y objetivos deportivos.

2. Ofrecer recomendaciones personalizadas: explicar cómo, cuánto y cuándo tomar cada suplemento según su necesidad.

3. Crear packs personalizados: una estrategia efectiva para delizar clientes es ofrecer combos de pre y post-entreno adaptados a cada deporte. También ofrecerles una formación para aprender a combinar varios suplementos que puedan servirles en situaciones diversas.

4. Colaboración con laboratorios: trabajar de la mano con marcas de nutrición deportiva puede mejorar la formación del personal farmacéutico y aumentar las ventas.

Más allá del asesoramiento en el mostrador, los farmacéuticos con experiencia en nutrición deportiva pueden ofrecer formación especializada a otros profesionales y equipos de

ESPECIAL DEPORTISTAS

“La formación del equipo para una correcta elección de suplementos certi cados y el análisis de la medicación previa del paciente son claves en

la recomendación de suplementos deportivos”

farmacias, garantizando un conocimiento actualizado sobre suplementación. Asimismo, la experiencia práctica en farmacia, clínicas y el ámbito deportivo permite una colaboración efectiva con la industria, diseñando productos especí cos adaptados a las necesidades reales del deportista.

El asesoramiento nutricional en la farmacia comunitaria representa una gran oportunidad para potenciar la salud y el rendimiento de los deportistas. Ofrecer una guía clara sobre cómo, cuánto y cuándo usar los productos pre y post entrenamiento no solo aumenta la con anza del cliente, sino que también fortalece la posición de la farmacia como referente en nutrición deportiva. Además, la correcta selección de proveedores y la consideración de la medicación previa del paciente elevan el estándar de calidad en el consejo farmacéutico, consolidando el papel del farmacéutico como experto en suplementación y salud deportiva. fv

ESPECIAL DEPORTISTAS

Crema efecto calor para el calentamiento de músculos y ligamentos.

Ideal para aliviar y prevenir molestias antes y después de realizar cualquier actividad o esfuerzo físico. Su textura ligera favorece la absorción. Sin olor. Uso cotidiano y deportivo. 150 ml.

COMPOSICIÓN

Formulada con Thermolat ®, activo encargado de generar el efecto calor, y con Árnica, Hypericum, Caléndula y Árbol del Té, con propiedades calmantes y antiin amatorias que ayudan a reducir espasmos, calambres y la fatiga muscular. Dermatológicamente testada en pieles sensibles.

Confort y bienestar en roll-on.

Desarrollado para proporcionar confort y bienestar a la piel con un innovador formato en roll-on. Ayudará a aliviar las molestias. De fácil y cómoda aplicación, únicamente hay que aplicar y masajear con el roll-on, sin ensuciar las manos. Con un agradable efecto calor. Se recomienda su uso antes, durante y después de la actividad deportiva o esfuerzo físico. 50 ml.

COMPOSICIÓN

Formulado con una combinación exclusiva de Cannabidiol (CBD), Vanillyl, Árnica, Hypericum, Mentol y Caléndula para un confort total. 95 % ingredientes de origen natural. Apto para pieles sensibles. Dermatológicamente testado.

CREMA HOT THERAPY
VCS FARMA

Clínica, diagnóstico y tratamiento de las enfermedades articulares: artrosis, artritis y reuma

El manejo adecuado de estas enfermedades, que tienen un impacto signi cativo en los pacientes requiere un enfoque multidisciplinar.

Las enfermedades articulares representan una carga signi cativa para los sistemas de salud en todo el mundo, siendo responsables de gran parte de las consultas médicas y la discapacidad funcional. En-

tre las patologías más prevalentes se encuentran la artrosis, la artritis y el reumatismo (o “reuma”), cada una con características especí cas en cuanto a su clínica, diagnóstico y tratamiento. A pesar de su alta prevalencia, muchas veces existe confusión entre estas patologías, lo que puede afectar el manejo adecuado de los pacientes.

La artrosis, por ejemplo, es una enfermedad degenerativa, mientras que la artritis es

principalmente in amatoria y autoinmune. El término reumatismo engloba un conjunto diverso de enfermedades que afectan no solo a las articulaciones, sino también a los músculos y tejidos conectivos. A lo largo de este artículo, abordaremos las diferencias clave entre estas tres patologías, aportando una guía clara y precisa tanto para los profesionales de la o cina de farmacia como para técnicos ortopedas.

Mª Montserrat Muñoz García
Titular de O cina de Farmacia
Ortopedia Montse Muñoz en Alcaudete de la Jara (Toledo).

Clínica, diagnóstico y tratamiento de las enfermedades articulares: artrosis, artritis y reuma

Artrosis

La artrosis es la enfermedad articular más común en todo el mundo. Su etiología es degenerativa, lo que signi ca que ocurre debido al desgaste progresivo del cartílago que cubre los extremos de los huesos (apó sis ósea) en una articulación.

CLÍNICA

La clínica de la artrosis se caracteriza por dolor articular de tipo mecánico, rigidez y limitación del movimiento, afectando principalmente las rodillas, caderas y manos. Los pacientes suelen referir síntomas que empeoran con la actividad física y mejoran con el reposo.

DIAGNÓSTICO

El diagnóstico se realiza mediante estudios de imagen, como radiografías, que muestran estrechamiento del espacio articular, osteo tos y esclerosis subcondral. Las pruebas de laboratorio no suelen ser útiles, ya que no existe un componente in amatorio sistémico.

TRATAMIENTO

El tratamiento de la artrosis es multifactorial e incluye terapias farmacológicas y no farmacológicas:

• Farmacológico: el manejo del dolor es el objetivo principal en el tratamiento de la artrosis. Se recomienda el uso de analgésicos como el paracetamol o AINEs (antiin amatorios no esteroides) en fases iniciales. En casos de dolor moderado a severo, los corticoides intraarticulares o el ácido hialurónico pueden ser úti-

les para aliviar temporalmente los síntomas. Fármacos como el sulfato de glucosamina (condroprotector), también se emplean para ralentizar la degeneración del cartílago, aunque su efectividad sigue siendo objeto de debate.

• No farmacológico: las intervenciones no farmacológicas incluyen sioterapia, ejercicio, control del peso y uso de dispositivos ortopédicos.

– Terapia física: ejercicios de fortalecimiento y movilidad pueden ayudar a mejorar la función articular y prevenir la rigidez.

– Cirugía: en casos avanzados donde el dolor es incontrolable y hay un daño articular signi cativo, la cirugía de reemplazo articular (artroplastia) es el tratamiento más efectivo.

– Los tratamientos ortopédicos son fundamentales para mejorar la calidad de vida de los pacientes con artrosis:

» Órtesis: el uso de rodilleras, plantillas y soportes de muñeca puede ayudar a redistribuir la carga y reducir el dolor articular.

» Bastones y andadores: las ayudas para la movilidad, como bastones o andadores, son esenciales para mantener la independencia y en pacientes con artrosis avanzada.

Artritis

La artritis abarca un grupo de enfermedades in amatorias de las articulaciones, siendo la artritis reumatoide la forma más conocida. A diferencia de la artrosis, que es una enfer-

“La

artrosis es la enfermedad articular

más común en todo el mundo. Su etiología es degenerativa”

Artrosis de cadera

Cadera normal/sana Cadera con daño en el cartílago articular

Desviación cubital

“Valles” (músculos debilitados)

Artritis

Desplazamiento de la articulación (subluxación dorsal)

medad degenerativa, la artritis es una patología in amatoria autoinmune.

CLÍNICA

La artritis se mani esta con dolor in amatorio en las articulaciones, que empeora con el reposo y mejora con el movimiento leve. Los pacientes a menudo presentan rigidez matutina prolongada, que puede durar más de 30 minutos, y afectación simétrica de las ar ticulaciones pequeñas de manos, muñecas y pies. Además, los pacientes con artritis reumatoide suelen presentar síntomas sistémicos como fatiga, ebre y pérdida de peso.

A lo largo del tiempo, las articulaciones afectadas pueden volverse deformes, perder su funcionalidad y presentar erosiones óseas visibles en los estudios de imagen.

DIAGNÓSTICO

El diagnóstico de artritis se basa en la combinación de clínica, es-

@ Healthwise, incorporated

tudios de laboratorio e imagen. Los pacientes suelen tener niveles elevados de marcadores in amatorios como la PCR y la VSG Además, pruebas especí cas como el factor reumatoide (FR) y los anticuerpos anti-CCP (anticuerpos antipéptido cíclico citrulinado) son altamente indicativos de artritis reumatoide.

En las etapas avanzadas de la enfermedad, las radiografías pueden mostrar erosiones óseas y disminución del espacio articular, lo que re eja daño estructural.

TRATAMIENTO

El tratamiento de la artritis reumatoide ha evolucionado considerablemente en las últimas décadas, con el objetivo de prevenir el daño articular y mejorar la calidad de vida:

• Farmacológico: el uso de AINEs y corticoides es común en las fases iniciales para controlar los síntomas. Sin embargo, los fármacos modi cadores de la enfermedad (FAMEs), como el meto -

“A diferencia de la artrosis, que es degenerativa, la artritis es una patología in amatoria autoinmune”

trexato, son fundamentales para ralentizar la progresión de la enfermedad. Los fármacos biológicos, como los inhibidores del TNF (ej. adalimumab, in iximab), han revolucionado el tratamiento de la artritis reumatoide, proporcionando control a largo plazo en pacientes con enfermedad severa o refractaria a otros tratamientos.

• No farmacológico: al igual que en la artrosis, las terapias físicas, el ejercicio y el manejo del estrés juegan un papel clave en la mejora de la función articular y la prevención de deformidades.

– El tratamiento ortopédico de la artritis incluye medidas para reducir la in amación y proteger las articulaciones afectadas, inmovilizando temporalmente las articulaciones in amadas y prevenir deformidades. Las férulas para las manos y plantillas rígidas pero a la vez exibles para los pies pueden ser muy útiles.

– Cirugía: en pacientes con daño articular severo, la cirugía de reconstrucción articular o reemplazo articular puede ser necesaria para restaurar la función y aliviar el dolor.

Clínica,

Reumatismo (Reuma)

El término reumatismo se utiliza de manera genérica para describir una serie de trastornos musculoesqueléticos que incluyen tanto enfermedades in amatorias como degenerativas. Aunque muchas veces se re ere a condiciones como la artritis reumatoide, el reumatismo puede englobar otras patologías como el lupus eritematoso sistémico, la espondilitis anquilosante o el síndrome de Sjögren.

CLÍNICA

El reumatismo, en su uso más amplio, describe un conjunto de síntomas que incluyen dolor crónico, rigidez y limitación funcional de las articulaciones, músculos o tejidos conectivos. Los pacientes pueden presentar dolor persistente, in amación en las articulaciones, fatiga y síntomas sistémicos. Dependiendo de la enfermedad subyacente, la clínica puede variar considerablemente.

DIAGNÓSTICO

El diagnóstico de reumatismo depende de la condición subyacente. Los marcadores in a-

Diferenciación clínica de patologías

matorios pueden estar elevados, como en el caso de la artritis reumatoide o el lupus. A menudo se requieren pruebas adicionales, como estudios de imagen (radiografías, resonancias) y análisis inmunológicos especí cos, dependiendo del trastorno reumático sospechado.

TRATAMIENTO

El tratamiento del reumatismo es complejo y depende de la enfermedad especí ca:

• Farmacológico: para el control del dolor se utilizan analgésicos y AINEs. En enfermedades in amatorias crónicas, se recurren a los fármacos modi cadores de la enfermedad (FAMEs), corticoides y agentes biológicos, como los inhibidores de citocinas (ej. tocilizumab para el tratamiento del lupus o artritis severa).

• No farmacológico: la rehabilitación física guiada es esencial para mantener la movilidad y prevenir la rígida y en algunos casos terapia ocupacional.

– El manejo ortopédico del reumatismo varía en función de la patología subyacente: soportes articulares y

órtesis, estos dispositivos pueden aliviar la carga sobre las articulaciones afectadas y mejorar la funcionalidad.

– Cirugía: en casos de deformidades avanzadas, la cirugía correctiva puede ser una opción para restaurar la alineación articular y mejorar la calidad de vida.

La diferenciación clínica entre estas patologías se basa en la localización y tipo de dolor, los patrones de afectación articular, la presencia de síntomas sistémicos y las deformidades asociadas.

1. Artrosis

– Dolor: mecánico, empeora con el movimiento y mejora con el reposo. Suele aparecer al nal del día, con rigidez matutina breve (menos de 30 minutos).

– Articulaciones afectadas: principalmente las articulaciones de carga como rodillas, caderas y las interfalángicas distales de las manos.

– Otros signos: deformidades óseas (como los nódulos de Heberden en los dedos), crepitación y reduc-

Artrosis Mecánico, empeoramiento con el movimiento.

In amatorio, peor en reposo

Menos de 30 minutos.

Más de 1 hora

Artritis reumatoide

Condromalacia Dolor anterior de rodilla No signi cativo

Rodillas, caderas, interfalángicas distales

Pequeñas articulaciones de manos y pies (simétricas)

Articulación femoropatelar

Deformidades óseas, crepitación

Deformidades, nódulos reumatoides, síntomas sistémicos

Dolor al subir/bajar escaleras, crepitación

El reumatismo describe síntomas que incluyen dolor crónico, rigidez y limitación funcional de las articulaciones, músculos o tejidos conectivos”

ción progresiva de la movilidad articular.

– Características clínicas clave: dolor localizado en articulaciones que soportan peso, progresión lenta, sin síntomas sistémicos.

2. Artritis reumatoide

– Dolor: in amatorio, peor en reposo y durante la madrugada, con rigidez matutina prolongada (más de 1 hora).

– Articulaciones afectadas: afecta simétricamente las pequeñas articulaciones de las manos y pies (metacarpofalángicas, interfalángicas proximales), y también las muñecas, codos, rodillas y tobillos.

– Otros signos: deformidades articulares (como desviación cubital de los dedos), nódulos reumatoides, sinovitis y síntomas sistémicos como fatiga, febrícula y pérdida de peso.

– Características clínicas clave: enfermedad sistémica, in amación simétrica de múltiples articulaciones, afectación sistémica y progresiva con deformidades si no se trata.

Conclusiones

Las enfermedades articulares como la artrosis, la artritis y el reumatismo tienen un impac-

to significativo en la vida de los pacientes. El manejo adecuado requiere un enfoque multidisciplinar, donde el profesional farmacéutico y ortopédico juegan un papel importante. El tratamiento de la artrosis se basa en aliviar el dolor y mejorar la movilidad articular. Los tratamientos orto pédicos, como el uso de órtesis y dispositivos de apoyo, son fundamentales para reducir la carga articular y mejorar la funcionalidad. En casos avanzados, la cirugía de reemplazo articular se considera el tratamiento de nitivo.

Por otro lado, la artritis requiere un enfoque más agresivo para controlar la in amación y prevenir el daño articular. Aquí, los tratamientos ortopédicos también desempeñan un papel importante, ayudando a proteger las articulaciones afectadas.

En el caso del reumatismo, que engloba diversas patologías, el tratamiento ortopédico es igualmente crucial para aliviar el dolor y mejorar la calidad de vida. Las férulas, soportes articulares y la rehabilitación física son herramientas indispensables.

8 https://www.merckmanuals.com/ vida de los pacientes. orto-

Un enfoque integral que combine el tratamiento farmacológico con estrategias ortopédicas es esen-

cial para optimizar el manejo de estas patologías. Con el apoyo adecuado, es posible mejorar signi cativamente la calidad de vida de los pacientes, ayudándolos a mantener su independencia y reducir el impacto del dolor crónico. fv

REFERENCIAS BIBLIOGRÁFICAS E IMÁGENES

1 Glyn-Jones, S., et al. (2018). “Osteoarthritis.” Lancet, 391(10134), 1622-1633.

2 Smolen, J. S., et al. (2020). “Rheumatoid arthritis.” Nature Reviews Disease Primers, 6(1), 18010.

3 Hunter, D. J., & Bierma-Zeinstra, S. (2019). “Osteoarthritis.” Lancet, 393(10182), 1745-1759.

4 González Díaz, S., et al. (2020). “Fisiopatología y tratamiento”, Reumatología Clínica.

5 Castañeda, S., et al. (2019). “Artritis reumatoide: enfoque actual en el manejo y tratamiento”, Revista Española de Reumatología.

6 García López, I., et al. (2018). “Reumatismo y enfermedades reumáticas: aspectos diagnósticos y terapéuticos”, Anales de Medicina Interna. 2018.

7 https://www.cigna.com

ESPECIAL COSMÉTICANATURAL

Cosmética natural: innovación y ciencia al servicio

de la piel

El mundo vegetal y la biotecnología nos permiten obtener activos naturales de forma e caz y sostenible.

La cosmética natural ha cobrado relevancia en los últimos años gracias a su enfoque en ingredientes derivados de la naturaleza y procesos sostenibles. Este paradigma no solo resuena con el interés del consumidor en prácticas más responsables, sino que también se apoya en avances cientí cos, como la biotecnología, que potencian los bene cios de los activos naturales y la cosmética verde.

Hoy quiero descubriros cómo, gracias al mundo vegetal y a la biotecnología, obtenemos activos que seguramente ya conocéis, y con la misma e cacia que los obtenidos por síntesis química. Os invito a descubrir un mundo apasionante de innovación.

Activos naturales y biotecnología: innovación sostenible

La biotecnología ha permitido extraer y optimizar compuestos bioactivos presentes en plantas, algas, hongos y microorganismos de forma e ciente y sostenible. Este enfoque no solo conserva la biodiversidad, sino que garantiza la producción de activos con alta pureza y e cacia. Ejemplos de activos biotecnológicos incluyen:

• Ácido hialurónico: obtenido mediante fermentación bacteriana, este polisacárido mejora la hidratación de la piel al retener grandes cantidades de agua en la epidermis.

• Extractos de algas: ricos en antioxidantes, vitaminas y minerales, se emplean para proteger la piel del estrés oxidativo y mejorar su elasticidad.

• Polifenoles de origen vegetal: extraídos de uva, té verde o granada, combaten los radicales libres, previniendo el envejecimiento prematuro.

La biotecnología permite replicar y potenciar estas moléculas naturales sin agotar recursos naturales, alineándose con los principios de la sostenibilidad.

Y todo ello, apoyado por la cosmética verde, en dónde no sólo nos centramos en los ingredientes naturales, sino que también promovemos la utilización de prácticas éticas y ecológicas a lo largo del ciclo de vida del producto.

La cosmética verde incluye:

• Fórmulas biodegradables: respeto con el medio ambiente y que no contaminen.

• Envases reciclables o reutilizables para minimizar el impacto medioambiental.

• Procesos de fabricación sostenible que reduzcan la huella de carbono.

Activos naturales en la cosmética: uso y mecanismo de acción

La riqueza de la naturaleza ofrece una variedad casi in nita de activos que pueden integrarse en formulaciones cosméticas. Estos ingredientes destacan por su capacidad para mejorar la salud y apariencia de la piel de manera respetuosa con el cuerpo y el medio ambiente. Algunos de lo más destacados dentro de la cosmética son:

1. Extractos botánicos: hay ejemplos dentro de la naturaleza como la manzanilla, con propiedades antiin amatorias y calmantes, la centella asiática, que estimula la síntesis de colágeno y nos ayuda mejorar la cicatrización, la caléndula, que la usamos por su capacidad regeneradora y calmante… pero todo ello es gracias a los avonoides y triterpenos que actúan reduciendo la in amación, acelerando la reparación celular y protegiendo contra el estrés oxidativo.

2. Aceites naturales: como el aceite de argán, aceite de rosa mosqueta, aceite de

nuez de albaricoque… Los ácidos grasos esenciales nos ayudan a reforzar la barrera lipídica de la piel, con lo que conseguimos mejorar la elasticidad y disminuir la pérdida de agua transepidérmica. Además, los antioxidantes que llevan en la composición nos ayudan a neutralizar los radicales libres.

3. Vitaminas de origen natural: podemos extraer la vitamina C y la vitamina E de origen vegetal. En el caso de la vitamina C, lo haremos de frutas cítricas y de la acerola, y, en el caso de la vitamina E, lo haremos de aceites vegetales como el girasol o el germen de trigo. Recordemos que la vitamina C nos ayuda en la síntesis de colágeno y a combatir el estrés oxidativo provocado por los radicales libres y la vitamina E protege las membranas celulares de la oxidación y potencia los efectos de otros antioxidantes.

4. Ácidos naturales: dentro del mundo natural podemos obtener AHAs para la utilización en cosméticos como son: ácido glicólico, que podemos conseguir de la caña de azúcar y que tiene ese efecto exfoliante en donde se promueve la renovación celular. Ácido láctico, que podemos encontrar en leche y frutas, que nos ayuda a mejorar la hidratación de la piel y tiene una acción exfoliante más suave.

Otro ácido que podemos extraer de origen natural es el ácido salicílico, que nos va a ayudar a mejorar las pieles grasas gracias a sus propiedades exfoliantes, queratolíti-

Aunque

hablemos de activos de origen natural y obtenidos por procesos biotecnológicos, lo más importante es centrarnos en las necesidades del paciente y a partir de ahí construir su rutina adaptada”

cas, comedolíticas y antiin amatorias. Lo extraemos de la corteza del sauce. Por ser lipofílico, es un gran activo para disolver el sebo acumulado, reduciendo puntos negros y espinillas.

5. Polisacáridos naturales: gracias a la fermentación bacteriana que tenemos en procesos de biotecnología, podemos obtener ácido hialurónico, que nos ayuda a retener el agua en la epidermis logrando una hidratación mayor. Otro polisacárido que podemos conseguir es el beta-glucano derivado de avena o setas, que nos ayuda, gracias a sus propiedades calmantes y regeneradoras, a mejorar la función barrera, y a calmar las pieles sensibles o irritadas.

6. Minerales naturales: uno de los más conocidos es el óxido de zinc, ampliamente conocido por su utilización dentro los protectores solares.

Otro activo ampliamente usado en la industria cosmética son las arcillas, como el caolín o la bentonita, que absorben el exceso de sebo y nos ayudan a puri car la piel, regulando la producción de grasa.

7. Antioxidantes vegetales: quizás los más conocidos son los polifenoles, que obtenemos del té verde, cacao, uva… y el resveratrol, que obtenemos de la uva y de los frutos rojos.

Son aliados en la rutina cosmética, ya que nos ayudan a proteger la piel frente al estrés oxidativo causado por factores ambientales como la radiación, la exposición UV, la contaminación... y así proteger a las células de daños y frenando el envejecimiento prematuro.

8. Extractos de algas y microorganismos marinos: los compuestos bioactivos de origen marino nos aportan minerales, vitaminas y antioxidantes

que revitalizan y nutren la piel en profundidad. Así logramos mejorar textura y rmeza. Son aliados el alga espirulina y las algas marrones.

9. Enzimas naturales: dos grandes aliados que podemos utilizar en nuestras rutinas de exfoliación y en donde buscamos una mayor limpieza de nuestra piel, vienen de la utilización de dos enzimas, que son la papaína (papaya) y la bromelina (piña). Nos permiten hacer una leve exfoliación de la piel sin irritar, ya que nos ayudan a calmar la in amación y promover la renovación de la piel.

10. Bakuchiol: derivado de las semillas y de las hojas de la Psoralea corylifolia, es una alternativa al retinol que podemos utilizar desde la biotecnología. Nos ayuda a combatir el envejecimiento de la piel, mejorar la textura y reducir manchas. Todo ello se debe a que actúa como un potente antioxidante, estimula la síntesis de colágeno a nivel dérmico, con lo que mejoramos la rmeza y elasticidad, y nos ayuda en la regulación de la producción de melanina. Es menor irritante que el retinol y su uso es apto en embarazo y lactancia.

11. Ácido azelaico: cereales como el trigo, la cebada o el centeno, cuando los sometemos a procesos biotecnológicos, obtene-

mos un activo como es el ácido azelaico. Es un activo que tiene una grandísima versatilidad, ya que nos sirve en pieles acneicas, con rosácea, con tendencia a la hiperpigmentación… Recordemos que actúa como un queratolítico de manera suave, por lo que nos ayuda en la regulación del sebo, tiene propiedades antibacterianas para reducir la proliferación de Cutinebacterium acnes y nos permite calmar el enrojecimiento y disminuir la irritación en pieles sensibles. Inhibe la tirosinasa, una de las enzimas clave en el proceso de creación de la melanina, con los que nos ayuda a aclarar manchas y a prevenir su formación.

Máscara facial con espirulina.

12. Arbutina: extraída de plantas como la gayuba, el arándano y la pera, es un derivado natural de la hidroquinona, pero más seguro. Inhibe la actividad de la tirosinasa reduciendo la producción de melanina, con lo cual es e caz en el tratamiento de melasma, manchas solares, léntigos…

13. Ácido kójico: obtenido por la fermentación de levaduras, su mecanismo de acción se basa en bloquear la tirosinasa y reducir la oxidación de la melanina, pero además tiene propiedades antioxidantes que protegen la piel del daño ambiental.

14. Extracto de regaliz: su activo, la glabridina, posee propiedades calmantes. Nos ayuda también en el tratamiento de las manchas, ya que inhibe la tirosinasa y reduce la producción de radicales libres.

15. Niacinamida: uno de los activos más versátiles que tenemos en cosmética, también lo podemos obtener de fuentes naturales como cereales y legumbres. Inter ere en la transferencia de melanina desde los melanocitos a los queratinocitos y nos ayuda a reforzar la función barrera, reduciendo la sensibilidad. También posee propiedades seborreguladoras para el tratamiento de las pieles grasas.

Como podemos observar, son activos que muchos conocemos y a lo mejor os he ayudado a descubrir que también los podemos ob-

Hay que tener en cuenta que natural no implica menos e caz”

tener del mundo vegetal, además de muchos otros ingredientes.

Pero, como a cualquier cosmético, quiero que le pidas sus estudios de evidencia de los efectos que han obtenido con las formulaciones a nivel de piel.

Al nal, muchas veces, creemos que natural es más seguro y menos efectivo, son dos claims que escucho a menudo, y sí que quiero resaltar que la seguridad me la aportará el cómo lo extraigan y cómo lo formule el fabricante, al igual que la efectividad me la avalan los estudios.

¿Cómo lo incorporo todo a mi rutina cosmética?

Aunque hablemos de activos de origen natural y obtenidos por procesos biotecnológicos, lo más importante al nal es centrarnos en las necesidades del paciente y a partir de ahí construir su rutina adaptada y personalizada. Siempre debemos de tener en cuenta los pasos básicos, limpieza, hidratación y fotoprotección, y a partir de ahí, iremos poco a poco trabajando y adaptando.

Natural no implica menos e caz, así que determina la piel de tu paciente y ponte a trabajar para darle el mejor servicio y el mejor cuidado para su piel. fv

¿Pequeñas manchas? ¿Falta de homogeneidad en el tono de la piel? ¿Marcas oscurecidas? Si alguna vez te has enfrentado a esto desde el mostrador de la farmacia ¡te interesa lo que viene a continuación!

El poder de la niacinamida

La hiperpigmentación es una condición muy común de la piel, caracterizada por la aparición de manchas oscuras en ciertas áreas del cuerpo y frecuentemente en la cara, lo cual es motivo de incomodidad frente al espejo para muchos.

Esto ocurre cuando la piel produce más melanina de lo normal, el pigmento que da color a nuestra piel. Factores como la exposición solar, el envejecimiento, las cicatrices del acné o incluso los cambios hormonales, pueden desencadenar la hiperpigmentación. Afortunadamente, existen soluciones e caces para tratar este problema.

En ia sabemos lo importante que es sentirse bien con uno mismo ¡también en el aspecto físico!, por eso ofrecemos una solución e caz y segura para tratar las manchas: el sérum de niacinamida.

Este potente concentrado destaca por su capacidad antimanchas y por su habilidad para reparar y uni car el tono de la

piel, dejándola visiblemente más luminosa y uniforme. Es apto para todo tipo de pieles, incluidas las más sensibles. Gracias a su contenido del 10 % de niacinamida se convierte en un aliado perfecto para combatir la hiperpigmentación.

La niacinamida combate la hiperpigmentación al inhibir la transferencia de melanina a las capas superiores de la piel, lo que reduce la aparición de manchas oscuras. Además, tiene propiedades antiin amatorias y antioxidantes que ayudan a prevenir la hiperpigmentación inducida por el daño solar o la in amación.

Este ingrediente no solo reduce las manchas oscuras sino que aporta otros muchos bene cios. Mejora la textura de la piel, cierra los poros dilatados y refuerza la barrera cutánea, lo que permite que la piel se mantenga hidratada y protegida.

Además, este sérum contiene extractos de ingredientes naturales como la centella asiática y el regaliz, que calman y protegen la piel, reduciendo las irritaciones y mejorando su aspecto general.

¿Conocías todo el poder de la niacinamida? ¡Te damos un truco más! Recomienda usar este sérum combinado con el de vitamina C de ia. La vitamina C es un potente antioxidante que aclara las manchas oscuras al funcionar también inhibiendo la producción de melanina y mejorar el brillo de la piel. Dos productos que sumarán esfuerzos para dar los mejores resultados.

Y no podíamos terminar sin dar la recomendación estrella en estas situaciones: protección solar. Siempre debe usarse protección solar. Hay mil razones para dar esta recomendación, pero aún más si tenemos un paciente preocupado por las manchitas de su piel, que independientemente de que vengan producidas o no por el sol, sin duda, le afectará de forma negativa y aumentarán el contraste.

Para más información contacta con tu vendedor o envía un email a info@interapothek.es

La piel atópica: comprendiendo y tratando una condición crónica

La piel atópica es una enfermedad in amatoria crónica que forma parte del grupo de enfermedades atópicas, junto con el asma y la rinitis alérgica, y afecta a un porcentaje signi cativo de la población.

Laura

Estévez García

Lcda en Farmacia por la ULL. Máster en Dermocosmética. @lauraestevez.farma www.laura-estevez.com

La piel atópica, también conocida como dermatitis atópica o eczema atópico, es una afección crónica y recurrente que afecta a un porcentaje signi cativo de la población mundial. Se caracteriza por la in amación de la piel, lo que provoca

enrojecimiento, picazón intenso y, a menudo, va acompañada de lesiones y descamación. Aunque puede presentarse en personas de todas las edades, es más común en niños y puede tener un impacto signi cativo en la calidad de vida de quienes la padecen. La piel atópica es una enfermedad in amatoria crónica de la piel que forma parte del grupo de enfermedades atópicas, junto con el asma y la rinitis alérgica. La palabra “atópico” se re ere a la tendencia hereditaria a desarrollar

alergias y se presenta típicamente en brotes, que son periodos en los que los síntomas empeoran, seguidos de remisiones, donde los síntomas disminuyen o desaparecen temporalmente. La etiología exacta de la piel atópica no se conoce completamente, pero se sabe que es el resultado de una combinación de factores genéticos, inmunológicos y ambientales. Los factores de riesgo incluyen:

• Factores genéticos: existe una fuerte predisposición

genética, si uno o ambos padres tienen dermatitis atópica, asma o rinitis alérgica, el riesgo de que sus hijos desarrollen piel atópica es signi cativamente mayor.

• Barreras cutáneas comprometidas: en las personas con piel atópica, la barrera cutánea está alterada, lo que permite la pérdida de agua transepidérmica y la entrada de alérgenos y microbios. Esta disfunción de la barrera es a menudo causada por mutaciones en el gen que codi ca la lagrina, una proteína crucial para la integridad de la barrera cutánea.

• Sistema inmune: la piel atópica está asociada con una respuesta inmune desregulada. En particular, hay una predominancia de células Th2 que producen citoquinas in amatorias como la interleucina-4 (IL4) y la interleucina-13 (IL-13).

• Factores ambientales: los factores ambientales como los alérgenos, los irritantes (jabones fuertes, detergentes, etc…), el clima (frío y seco) y el estrés emocional pueden desencadenar o agravar los brotes de dermatitis atópica.

Manifestaciones clínicas

La dermatitis atópica se mani esta de diferentes maneras dependiendo de la edad del paciente:

• Infancia: en los lactantes, la dermatitis atópica suele comenzar en las mejillas y el cuero cabelludo, pudiendo extenderse al tronco y las extremidades. Las lesiones son típicamente eritematosas, exudativas y pruriginosas.

• Niñez: en los niños, las lesiones tienden a localizarse en las áreas de exión como los codos, las rodillas y el cuello. La piel puede aparecer seca, engrosada y liqueni cada debido al rascado crónico.

• Adolescencia y adultez: en adolescentes y adultos, la dermatitis atópica puede afectar cualquier área del cuerpo, pero es más común en las manos, los párpados y las áreas como genitales, axilas, zona perianal, inguinal y periumbilical. Las lesiones tienden a ser más secas y liqueni cadas.

Puede tener un impacto signi cativo en la calidad de vida de los pacientes, afectando su bienestar físico, emocional y social. El

“prurito persistente y la apariencia visible de las lesiones pueden llevar a ansiedad, depresión y estigmatización social. Es importante que los profesionales de la salud abordemos estos aspectos y proporcionemos apoyo psicológico y educativo a los pacientes y sus familias.

Tratamiento multifactorial de la piel atópica

El tratamiento de la piel atópica se basa en un enfoque multifactorial que incluye medidas para restaurar la barrera cutánea, controlar la in amación y tratar las infecciones secundarias:

• El uso regular de emolientes es fundamental para restaurar y mantener la barrera cutá-

Como profesionales de la salud, es esencial mantenerse actualizados sobre los avances en el tratamiento de la dermatitis atópica y proporcionar un cuidado comprensivo y centrado en el paciente”

En adolescentes y adultos, la dermatitis atópica puede afectar cualquier área del cuerpo.

“El manejo de la piel atópica es un desafío que requiere un enfoque integral y personalizado”

nea, previniendo la sequedad. Deben aplicarse varias veces al día, especialmente después del baño.

Las cremas y ungüentos son preferibles debido a su mayor contenido en ingredientes grasos que aportan humedad y mejoran la función barrera cutánea, entre ellos encontramos la glicerina, la urea, las ceramidas, los ácidos grasos esenciales y la manteca de karité.

• Se recomienda el uso de baños cortos, menos de 10 minutos, con agua tibia y geles suaves sin jabón, con pH neutro o ligeramente ácido, para evitar la eliminación de los lípidos naturales de la piel. El secado de la piel debe ser con una toalla suave, dando palmaditas en lugar de frotar, para evitar la irritación.

Son aconsejables, además, los baños de avena coloidal para aliviar el prurito.

• Es importante no utilizar los detergentes y perfumes fuertes, en cambio, se recomienda el uso de ropa de algodón suave que permita la transpiración de la piel, evitando la lana y materiales sintéticos que pueden causar irritación.

• Se ha comprobado que existe una relación importante entre la dieta y la piel atópica, algunas personas encuentran alivio al evitar ciertos alimen-

tos como los lácteos, el huevo, las nueces, los cacahuetes, los mariscos, la soja y el gluten. En cambio, existen otros como los antioxidantes, los probióticos, la vitamina D o los ácidos grasos omega-3 que pueden ayudar a mejorar la salud de la piel.

• El tratamiento farmacológico habitual consiste en la combinación de terapias tópicas y sistémicas, dependiendo de la severidad de la condición.

• Los corticosteroides tópicos son el pilar del tratamiento antiin amatorio para la dermatitis atópica y se eligen según la gravedad de la enfermedad y la ubicación de las lesiones. Se deben aplicar según las indicaciones médicas para minimizar el riesgo de efectos secundarios como la atro a cutánea.

• Los inhibidores de calcineurina, como el tacrolimus y el pimecrolimus, son opciones no esteroides que pueden ser utilizados para el tratamiento a largo plazo porque tienen menor riesgo de atro a cu-

tánea y son adecuados para áreas sensibles como la cara y los pliegues.

• Los antihistamínicos orales son útiles para controlar el prurito, especialmente si inter ere con el sueño.

• Los antibióticos tópicos u orales son adecuados para aquellas infecciones bacterianas secundarias por Staphylococcus aureus que son comunes en la piel atópica ocasionadas, principalmente, por el rascado de la zona afectada. Los inmunosupresores sistémicos utilizados en casos severos y refractarios.

• Para los casos más severos que no responden adecuadamente a los tratamientos convencionales, se pueden considerar las nuevas terapias avanzadas con agentes biológicos, como el dupilumab, que es un anticuerpo monoclonal que bloquea la IL-4 e IL-13 que juegan un papel clave en la inamación, obteniéndose una buena e cacia en el tratamiento de la dermatitis atópica moderada a severa.

Tacrolimus.

La piel atópica: comprendiendo y tratando una condición crónica

In uencia de la nutrición y los buenos hábitos en la piel atópica

La nutrición puede in uir signicativamente en la salud de la piel y en la gestión de la dermatitis atópica, ya que, existen alimentos que pueden desempeñar un papel crucial en el control de esta, como son:

• Los Ácidos Grasos Omega-3 tienen propiedades antiin amatorias que pueden ayudar a reducir la in amación y mejorar la barrera cutánea. Los encontramos en alimentos como los pescados azules, semillas de lino, aguacate, nueces, aceite de linaza, etc…

• Los antioxidantes ayudan a combatir el estrés oxidativo y la in amación en el cuerpo, pro-

La

dermatitis atópica puede tener un impacto signi cativo en la calidad de vida de los pacientes, afectando su bienestar físico, emocional y social”

moviendo una piel más saludable. Los podemos encontrar en frutas y verduras de colores vicios como las bayas, espinacas, zanahorias, tomates, pimientos, etc…

• La vitamina D tiene la capacidad de modular el sistema inmunológico, lo que es especialmente importante en las condiciones in amatorias de la dermatitis atópica, puede reducir la producción de citocinas proin amatorias, que son

responsables de la in amación crónica en la dermatitis atópica y estimular la producción de citocinas antiin amatorias, promoviendo una respuesta inmunológica equilibrada. La podemos obtener, además de en la exposición solar, en alimentos como los pescados azules, el huevo, los lácteos, etc…

• Los probióticos pueden mejorar la salud intestinal y, a su vez, in uir positivamente en la salud de la piel. Los encontramos en

Antioxidantes.
Ácidos Grasos Omega-3.
Probióticos.

Mantenerse bien hidratado es esencial para la salud de la piel.

alimentos como el yogur, ké r, chucrut, kimchi, etc…

• El zinc es un mineral esencial para la función inmunológica y la salud de la piel, ayudando a la cicatrización de heridas y la reducción de la in amación. Se encuentra en alimentos como la carne de vacuno, las semillas de calabaza, los garbanzos, las lentejas, los frutos secos, etc.

Adoptar una dieta antiinflamatoria puede ayudar a reducir los síntomas de la dermatitis atópica y en ella se incluyen las frutas y verduras, las grasas saludables, las proteínas de alta calidad y los

hidratos de carbono complejos. Además, mantenerse bien hidratado es esencial para la salud de la piel y para ello hay muchas opciones como beber al menos 8 vasos de agua al día, incorporar infusiones de hierbas, licuados de frutas con verduras, jugos naturales sin azúcar añadida, etc… Además de la nutrición, existen otros factores del estilo de vida que también pueden in uir en la dermatitis atópica, ya que el estrés puede exacerbar los síntomas e incorporar técnicas de manejo del estrés puede ser bene cioso, como la meditación, el yoga, ejercicios de respiración y actividades relajantes como leer o escuchar música.

El manejo de la piel atópica es un desafío que requiere un enfoque integral y personalizado, desde los cuidados básicos diarios hasta los tratamientos médicos y las terapias avanzadas. Con un cuidado adecuado y un enfoque proactivo, es posible vivir bien con dermatitis atópica. Como profesionales de la salud, es esencial mantenerse actualizados sobre los avances en el tratamiento de la dermatitis atópica y proporcionar un cuidado comprensivo y centrado en el paciente.

Por tanto, el manejo de la dermatitis atópica requiere un enfoque multifactorial que incluya una dieta equilibrada, hidratación adecuada, suplementación especíca y cambios en el estilo de vida. La colaboración entre el paciente, la familia y los profesionales de la salud es fundamental para desarrollar un plan de atención integral personalizado y efectivo que haga posible mejorar signicativamente los síntomas de la piel atópica y promover una piel más saludable y resiliente. fv La piel

Una parte importante del abordaje integral de esta patología es la educación del paciente y su familia, comprender que la dermatitis atópica es una enfermedad crónica y la importancia de la adherencia al tratamiento, y enseñar a los pacientes a identi car los primeros signos de un brote y a implementar medidas preventivas.

Zinc.

Hidratantes y lubricantes íntimos: mejorando la salud sexual

Con la información adecuada, cada persona puede encontrar el producto que mejor se adapte a sus necesidades y disfrutar de una vida íntima más saludable y placentera.

Irene

Diego Esparza Farmacéutica especializada en toterapia y cuidado de la piel.

El bienestar sexual y la salud íntima son aspectos fundamentales en la vida de cualquier persona. Entre los productos más relevantes para mantener una adecuada salud íntima, se encuentran los hidratantes y lubricantes íntimos.

Recordar que la piel de la zona íntima es mucho más sensible que el resto del cuerpo; al igual que cuidamos el contorno de ojos porque lo tenemos claro, tenemos que empezar también a considerar más esta zona, porque no vale cualquier producto. Aunque a menudo los hidratantes íntimos y los lubricantes en la farmacia se confunden, no saben diferenciarse o directamente se desconocen, estos productos tienen funciones y bene cios especí cos. Aprender que son

productos que nos pueden ayudar mucho en nuestra salud sexual es clave, además de conocer todas las opciones que hay y los bene cios que nos pueden aportar.

Los hidratantes íntimos

Los hidratantes íntimos, también conocidos como humectantes vaginales o vulvares, según si son de aplicación interna o externa, son productos diseñados para proporcionar hidratación a la mucosa vaginal.

Su principal función es restaurar y mantener el nivel de humedad natural de la zona íntima. ¿Pero por qué podemos necesitar eso?

La verdad es que es una patología mucho más frecuente de lo que pensamos y es que el 30 % de las mujeres sufren este trastorno o lo han padecido en algún momento, pero si nos centramos en la zona de la menopausia y postmenopausia esos valores aumentan hasta el 83 %. Las causas pueden ser muy diversas, como el uso de anticonceptivos hormonales, estrés, la edad, ciertos medicamentos como los antidepresivos y ansiolíticos, cambios hormonales... y es por eso que las personas con menopausia son las más afectadas por esta patología, porque cumplen varias de las causas que la provocan. Y como cada mujer es un mundo y cada caso es único, los lubricanes también son diferentes para cada caso: existen internos (vaginales) y externos (vulvares), en aceite, gel, crema, spray… Gracias a eso nos vamos a adaptar a cada necesidad y tipo de persona con facilidad.

COMPOSICIÓN DE LOS HIDRATANTES ÍNTIMOS

Los hidratantes íntimos suelen estar formulados con ingredientes que atraen y retienen la humedad. Entre los activos más comunes se encuentran el ácido hialurónico, la glicerina, los extractos de aloe vera y otros agentes como el sodio PCA. Estos componentes son biocompatibles y están diseñados para ser seguros y ecaces en el entorno vaginal. Además, muchos de ellos contienen

Hidratantes y lubricantes íntimos: mejorando la salud sexual

agentes calmantes como el pantenol, alantoína o alfa-bisabolol para tratar también la irritación y calmar la zona.

También puede necesitarse más exibilidad; en ese caso, optaremos por aquellos productos con principios activos que ayudan a mejorar la elasticidad de la piel, como el ácido gliciretínico. que permite aumentarla.

Para casos más extremos también se aplican aceites vegetales; es muy importante no utilizar ningún aceite que no esté destinado a la aplicación es esa zona tan delicada.

Pero no solo son importantes los ingredientes, sino cómo se formulan. Hay que tener en cuenta el pH al que están formulados; la aplicación sobre la piel a un pH diferente a nuestra siológica tiene efectos sobre ella, provocando una in amación y enrojecimiento; si se aplica sobre una zona seca y posiblemente irritada, vamos a complicar la situación, y de la misma manera si alcalinizamos la piel vamos a evitar la síntesis de lípidos y perderá agua.

MODO DE ACCIÓN

La acción de los hidratantes íntimos se basa en su capacidad para retener agua en la mucosa vaginal, lo que ayuda a mantenerla húmeda y exible. Los hidratantes ofrecen una hidratación prolongada, contribuyendo al bienestar general de la zona íntima.

La diversidad de productos nos da paso a poder ajustar dentro de la sequedad a los diferentes niveles, porque, por experiencias en el mostrador, aquellas personas que no están cómodas con

la textura o que prueban al azar no tienen delidad con el producto y con la pauta, porque no se ajusta a sus necesidades correctamente. Recordar que lo más importante es mejorar la vida de esa persona, no hacer que la solución cause incomodidad.

Por eso, para una aportación de agua más ligera y temporal, optamos por los sprays con ácido hialurónico, que son cómodos de aplicar y se pueden ir utilizando a lo largo del día. También nos sirven para complementar rutinas de otros niveles que necesitan todavía un plus más.

Tenemos los geles y las cremas, que hidratan más sin llegar a ser una sequedad muy severa.

El 83 % de las mujeres en la menopausia y postmenopausia sufren problemas en la zona íntima”

Y, por último, los más hidratantes de todos son los aceites íntimos, que se aplican de noche y su hidratación es mucho más profunda pero costosa de usar durante el día.

De esta manera, nos será cómodo aplicar y seguir con constancia para obtener todos sus bene cios.

BENEFICIOS DE LOS HIDRATANTES ÍNTIMOS

• Alivio de la sequedad vaginal: los hidratantes ayudan a mantener la mucosa vaginal húmeda y exible, reduciendo la incomodidad y el malestar.

• Mejora de la salud vaginal: al mantener una hidratación adecuada, se previenen micro desgarros y se favorece un ambiente saludable para la flora vaginal.

• Uso diario: pueden utilizarse como parte de una rutina diaria de cuidado íntimo, proporcionando bene cios continuos.

• Prevención de lesiones: al mantener la zona hidratada y más exible, evitaremos posibles lesiones o micro desga-

rros o cortes que si la piel esta seca y poco exible.

De nición de lubricantes íntimos

Los lubricantes íntimos son productos destinados a reducir la fricción durante la actividad sexual. Su principal función es facilitar la penetración y evitar la incomodidad o el dolor asociado con la sequedad vaginal o anal. Los lubricantes son esenciales para mejorar la comodidad y el disfrute durante las relaciones sexuales.

COMPOSICIÓN DE LOS

LUBRICANTES ÍNTIMOS

Existen varios tipos de lubricantes, clasi cados según su base: a base de agua, a base de silicona y a base de aceite.

• Lubricantes a base de agua: son los más comunes y versátiles. Se absorben fácilmente y no dejan residuos. Sin embargo, pueden secarse rápidamente y requerir reaplicación.

• Lubricantes a base de silicona: proporcionan una lubricación duradera y son ideales para el uso en agua o para la

Como cada mujer es un mundo y cada caso es único, los hidratantes también son diferentes para cada caso, existen internos y externos, en aceite, gel crema, spray…”

penetración anal. No se absorben fácilmente y pueden dejar una sensación resbaladiza.

• Lubricantes a base de aceite: Ofrecen una lubricación intensa y duradera, pero no son compatibles con preservativos de látex y pueden aumentar el riesgo de infecciones vaginales.

MODO DE ACCIÓN

Los lubricantes actúan formando una capa resbaladiza sobre la piel y las mucosas, reduciendo la fricción durante la actividad sexual. Este efecto es inmediato y proporciona alivio y comodidad instantáneos.

BENEFICIOS DE LOS LUBRICANTES ÍNTIMOS

• Reducción de la fricción: los lubricantes minimizan la fricción durante la actividad sexual, mejorando la comodidad y el disfrute.

• Prevención de lesiones: se disminuye el riesgo de irritación, microdesgarros y otras lesiones.

• Versatilidad: existen lubricantes especí cos para diferentes necesidades, como el uso con preservativos, en el agua, anales, etc.

En la farmacia, existen muchos tipos de hidratantes y lubricantes íntimos.

Diferencias entre hidratantes y lubricantes íntimos

Aunque ambos productos tienen como objetivo mejorar el confort y la salud íntima, sus usos y mecanismos de acción di eren signi cativamente. Mientras que los hidratantes están diseñados para un uso prolongado y continuo, proporcionando alivio de la sequedad vaginal día a día y utilizados como tratamientos para evitar problemas más severos, los lubricantes, en cambio, se utilizan especí camente durante la actividad sexual para reducir la fricción puntualmente.

Además, los principios activos y formulación son diferentes. Otro punto diferencial es la duración del efecto:

• Los hidratantes proporcionan una hidratación duradera e incluso actúan restaurando la función barrera.

• Los lubricantes ofrecen una lubricación temporal que puede necesitar reaplicación.

¿Qué preguntas tenemos que hacernos para elegir el mejor?

1. ¿Qué nalidad quiero?

Si solo quiero mejorar las relaciones sexuales optaremos por un lubricante; en cambio, si lo necesito porque ya tengo molestias en la zona, elegiremos un hidratante íntimo.

2. Si quiero un lubricante, ¿para qué zona o práctica?

Según donde se va a utilizar o en que zona, hay que escoger una determinada composición. Las bases aguas son más ligeras pero las siliconas están indicadas en zona anal.

Además, debemos evitar y mirar los ingredientes potencialmente irritantes.

3. ¿Necesito un hidratante íntimo con una potencia muy alta o, si son molestias ligeras, puedo empezar con una hidratación diaria básica?

Optaremos por unas texturas u otras sabiendo que los aceites son los más nutritivos y los sprays son los más ligeros.

4. ¿Depende de cuándo quiero aplicarlo?

Si solo queremos aplicarlo de manera nocturna una vez al día, escogería las cremas geles y aceites según nuestro nivel, dado que una hidratación en spray se quedaría corta. Si no nos importa ir aplicándolo a lo largo del día, porque es una irritación muy

“insistente, los sprays son los mejores aliados, porque no dejan residuo y evitan rascarse por su acción inmediata y de rápida aplicación.

Conclusión

Los hidratantes y lubricantes íntimos son productos esenciales para mantener la salud y el bienestar íntimo. Entender sus diferencias, bene cios y los factores a tener en cuenta para su correcta elección es fundamental para tomar decisiones informadas. Ya sea para aliviar la sequedad vaginal o mejorar la comodidad durante las relaciones sexuales, estos productos ofrecen soluciones efectivas y seguras. Con la información adecuada, cada persona puede encontrar el producto que mejor se adapte a sus necesidades y disfrutar de una vida íntima más saludable y placentera. fv

Entre los activos más comunes, se encuentran el ácido hialurónico, la glicerina, los extractos de aloe vera y otros agentes como el sodio PCA”

Los hidratantes íntimos propocionan alivio de la sequedad vaginal.

Microbiota, probióticos, prebióticos: ¿qué debe saber el farmacéutico?

El papel de la microbiota, sus funciones clave y cómo los farmacéuticos pueden asesorar de manera precisa en esta área.

Cristina

Fente Sampayo Farmacéutica. Catedrática de la Universidad de Santiago de Compostela ProbioXperts.

En las últimas décadas, el estudio de la microbiota ha cambiado por completo nuestra comprensión de la salud humana. Desde el nacimiento, estamos acompañados por comunidades de microorganismos que desempeñan funciones vitales para nuestra supervivencia. Esta estrecha relación nos de ne como un “holobionte”, un superorganismo en el que los mi-

croorganismos y el ser humano trabajan en simbiosis.

Un estado de eubiosis, es decir, equilibrio entre el ser humano y su microbiota, es clave para la salud. Por el contrario, un estado de disbiosis, o desequilibrio, puede estar relacionado con diversas enfermedades. Para las farmacias, la categoría de productos relacionados con la microbiota –probióticos, prebióticos, simbióticos y postbióticos– ofrece una gran oportunidad para diferenciarse, fidelizar pacientes y contribuir activamente al bienestar general. En este artículo, exploraremos el papel de la microbio -

ta, sus funciones clave y cómo los farmacéuticos.

Microbiota: un ecosistema indispensable

La microbiota autóctona, compuesta por microorganismos que colonizan nuestras super cies y cavidades corporales, está en constante interacción con nuestro cuerpo. Aunque su composición puede variar según la parte del cuerpo y entre individuos, su importancia es universal. Entre sus funciones más destacadas están:

1. Digestión y metabolismo En el colon, la microbiota fermenta bras dietéticas y otros

Microbiota, probióticos, prebióticos: ¿qué debe saber el farmacéutico

compuestos indigeribles, produciendo nutrientes esenciales y modulando nuestro metabolismo.

2. Función tró ca y mantenimiento de la barrera intestinal

La microbiota intestinal desempeña un papel fundamental en proteger y fortalecer la barrera intestinal, nuestra principal puerta de entrada al organismo, asegurando su integridad y buen funcionamiento.

3. Desarrollo del sistema inmunitario

Desde los primeros días de vida, la microbiota entrena al sistema inmunitario para distinguir entre microorganismos bene ciosos y patógenos, estimula la maduración del tejido linfoide asociado a la mucosa (GALT), clave para la respuesta inmunitaria, y promueve un entorno inmunológico equilibrado o “inmunosilencioso”.

4. Protección frente a patógenos

La microbiota actúa como un escudo, compitiendo con microorganismos dañinos por espacio y nutrientes. Además, produce compuestos antimicrobianos, como el ácido láctico o las bacteriocinas.

5. Contribución a la salud general

La microbiota in uye en procesos más amplios, como:

– Función cerebral: a través del eje intestino-cerebro, sus metabolitos afectan el estado de ánimo, el estrés y el neurodesarrollo.

– Regulación metabólica: impacta en el control del peso, la in amación y enfermedades crónicas como la diabetes tipo 2.

Probióticos: aliados vivos para recuperar el equilibrio

Los probióticos son microorganismos vivos que, administrados en cantidades adecuadas, ofrecen bene cios demostrados para la salud. En la farmacia, su versatilidad es inigualable: pueden recomendarse para más de 70 indicaciones de salud y patologías, complementando y potenciando numerosos tratamientos que dispensamos a diario. Su utilidad va mucho más allá de las afecciones digestivas. Los probióticos adecuados también desempeñan un papel clave en la prevención de infecciones, en el cuidado integral de la salud de la mujer a lo largo de todas las etapas de su vida, en el apoyo a la salud mental y metabólica, o en el tratamiento de problemas dermatológicos, mejorando incluso aspec -

“Los probióticos son microorganismos vivos que, administrados en cantidades adecuadas, ofrecen bene cios demostrados para la salud”

tos relacionados con la belleza y el bienestar de la piel.

Para garantizar su e cacia, el farmacéutico debe considerar:

• Cepas específicas: cada probiótico tiene aplicaciones concretas según la evidencia clínica.

• Dosis adecuada: indicada en UFC (unidades formadoras de colonia) por día, respaldada por ensayos clínicos.

• Productos de calidad: deben garantizar la viabilidad de los microorganismos hasta su consumo.

Prebióticos: alimento para los buenos microorganismos

Los prebióticos son sustancias no digeribles que estimulan selectivamente el crecimiento o la actividad de microorganismos bene ciosos. Algunos ejemplos clave disponibles en la farmacia incluyen:

• Inulina y FOS: ayudan a aumentar la población de bacterias como Bi dobacterium y Lactobacillus.

• Oligosacáridos de la leche humana (HMOs): son los pre-

“La microbiota es un pilar fundamental de la salud”

bióticos naturales de la leche materna, esenciales para promover una microbiota equilibrada en los bebés desde los primeros días de vida. Actualmente, se encuentran en fórmulas infantiles avanzadas y, cada vez más, en productos diseñados para adultos, debido a sus bene cios comprobados en la salud intestinal.

• Polifenoles y omega 3 de cadena larga: aunque no son bras dietéticas, los polifenoles y los ácidos grasos omega 3 de cadena larga (como el DHA y EPA) se consideran prebióticos por su capacidad para in uir positivamente en la microbiota intestinal. Su consumo regular fomenta la presencia de bacterias productoras de ácidos grasos de cadena corta, que tienen un impacto positivo en la salud metabólica, reducen la inflamación sistémica y favorecen la función inmunitaria. Ambos compuestos destacan como aliados en la prevención de enfermedades crónicas, demostrando cómo el enfoque integral de la dieta puede modular la microbiota y mejorar el bienestar general.

Postbióticos: el regalo de los microorganismos

A diferencia de los probióticos, los postbióticos son microorganismos inactivados (no vivos)

o sus componentes que, al administrarse en cantidades adecuadas, ofrecen bene cios para la salud.

Ejemplos de postbióticos incluyen:

• Akkermansia muciniphila pasteurizada, utilizada en el manejo de trastornos metabólicos.

• Metabolitos como ácidos grasos de cadena corta o péptidos bioactivos.

Gracias a su estabilidad y facilidad de almacenamiento, los postbióticos son una alternativa interesante para pacientes con intolerancia a los probióticos o para aplicaciones donde la viabilidad no sea crítica.

El papel del farmacéutico: educar, diferenciar y personalizar

La amplia gama de productos relacionados con la microbiota en el mercado exige que los farmacéuticos estén formados para:

• Diferenciar términos clave: probióticos, prebióticos, simbióticos y postbióticos no son intercambiables. Cada uno tiene indicaciones especí cas.

• Identi car las mejores opciones: asegurar que las cepas probióticas, los prebióticos o los componentes postbióti-

cos sean adecuados para las necesidades del paciente.

• Educar a los pacientes: explicar cómo integrar estos productos con hábitos saludables, como una dieta equilibrada, ejercicio regular y manejo del estrés.

¿Qué debemos hacer como farmacéuticos?

La microbiota es un pilar fundamental de la salud. La correcta selección y recomendación de productos relacionados con la microbiota no solo mejora la salud de los pacientes, sino que posiciona a la farmacia como un referente en bienestar integral.

Somos, los farmacéuticos, los profesionales sanitarios más indicados para aconsejar los probióticos adecuados. Las situaciones para hacerlo son innumerables en la farmacia.

En la farmacia se pierden muchas oportunidades de recomendación de probióticos por falta de conocimiento, por eso debemos formar a nuestros equipos en la farmacia para cuidar de los pacientes con un consejo independiente y basado en la evidencia clínica.

Más información en: www.probioticosenfarmacia.com fv

TU ERES NUESTRA PRIMERA ELECCIÓN

Y lo primero es seguir a tu lado con el acompañamiento que impulsamos desde hace más de 95 años.

Ignacio Migoya López

Licenciado en Farmacia y Diplomado en Óptica y Optometría, Técnico Superior en Audioprótesis. Secretario y representante de la Vocalía de Óptica y Acústica del COF Asturias.

Entrevista realizada por:

María José Menéndez

En esta entrevista, vamos a tratar el el cuidado ocular en la o cina de farmacia. Sé que para ti es esencial este tema, de hecho, has liderado varias charlas tanto a nivel nacional como en el Colegio de Farmacéuticos de Asturias, Colegio en el cual eres el Secretario y representante de la Vocalía de Óptica y Acústica.

Me gustaría preguntarte, primero, cuál es, a día de hoy, el papel del farmacéutico en el cuidado de la salud ocular en la población general y cómo crees que ha cambiado con respecto a hace 20 años. ¡Ha cambiado tanto! Hace 20 años que terminé la carrera y la verdad es que no tiene nada que ver. Es cierto que las patologías oculares son muy llamativas y el hecho de que, cuando nos comunicamos con alguien, lo primero que miremos sean sus ojos, los hacen aún más protagonistas.

En aquella época, nos ceñíamos a colirios y pomadas oftálmicas que, bajo prescripción médica, se utilizaban para tratar la tensión ocular, infecciones bacterianas, alergias, antiin amatorios, etc.

Pero no era común realizar un consejo farmacéutico tan a fondo como realizamos ahora. Nos limitábamos a recordar cómo utilizarlos, repasar con el paciente la instilación de los mismos y poco más. Ya existían algunas lágrimas arti ciales, pero no había tanta incidencia de la Enfermedad de Ojo Seco (EOS) como ahora y las composiciones de esas lágrimas han evolucionado mucho.

Actualmente, hablamos más con el paciente, tenemos más claros los efectos secundarios de los colirios y pomadas oftálmicas. Incluso contamos con herramientas para minimizar esos efectos secundarios. Se incide mucho en la importancia de la limpieza de los párpados con toallitas especí cas antes de la instilación de colirios o de la aplicación de las pomadas oftálmicas y en la sequedad ocular que, curiosamente, provocan muchos tratamientos de patologías oculares.

El consejo farmacéutico también ha llegado al mundo ocular, que fue de los últimos en sumarse en la mayoría de las o cinas de farmacia, pero que ya es un hecho, incluso tenien-

do su propia categoría en muchas farmacias.

ESPECIAL SALUDOCULAR

pri-

Muchas personas acuden al farmacéutico como pri mera opción para consultas relacionadas con problemas oculares. ¿Qué tipo de patologías soléis encontrar?

Aquí es donde la formación es imprescindible. La mayoría de las veces vienen con síntomas relacionados con la Enfermedad de Ojo Seco, ojos irritados, con sensación de arenilla, que empeora a lo largo del día. Con 3 ó 4 preguntas, podemos desde derivar al oftalmólogo si vemos algo que nos preocupa a recomendarles una lágrima artificial o incluso alguno de los nuevos colirios que contienen antibióticos o antiin amatorios y no precisan de una prescripción médica. Siempre advirtiendo que si no mejora en tres días acuda a su oftalmólogo.

También atendemos muchas consultas relacionadas con alergias, sobre todo, en épocas primaverales, y muchas conjuntivitis, en las cuales debemos saber diferenciar entre víricas y bacterianas.

Debemos tener claro hasta dónde podemos llegar y estar alerta en situaciones en las que pueda estar en peligro la integridad del ojo. Por ejemplo, si el paciente ha tenido un golpe con algo vegetal, como una rama de un árbol o una hoja, debe acudir a urgencias directamente y lo más rápido posible, aunque no veamos nada preocupante en ese ojo. Hay otros tipos de patologías que afectan a los párpados como las blefaritis y los orzuelos que, sobre todo estos últimos, también son muy comunes.

ESPECIAL SALUDOCULAR

Se

incide mucho en la importancia de la limpieza de los párpados con toallitas especí cas antes de la instilación de colirios o pomadas oftálmicas y en la sequedad ocular”

vierno no solemos acordarnos de coger las gafas de sol, salvo que vayamos hacer deporte y poco más, y es importante tenerlas siempre a mano.

¿Cuál es, a tu modo de ver, la patología más consultada?

Sin duda el ojo seco. Los ordenadores, primero, y las pantallas, en los últimos años, están haciendo verdaderos estragos en la calidad de nuestra lágrima.

Dentro de estas patologías, ¿qué porcentaje de ellas quedan resueltas habitualmente en el mostrador?

Con una buena anamnesis y recomendación, la mayoría quedan resueltas, pero tan importante es la recomendación como la advertencia de acudir al oftalmólogo si no mejora.

¿Cuáles son las señales o síntomas de alarma que indican que un paciente debe ser derivado a un oftalmólogo?

La más importante: si llevan varios días con los síntomas y no han utilizado nada.

Si no es así, depende de muchas cosa; al nal, cuando estás en el mostrador y le vas preguntando, ya te das cuenta de la gravedad.

Como te comentaba antes, todo lo relacionado con el mundo vegetal es muy urgente, muchísimo más que una quemadura con una chispa de una radial. También es motivo de derivar a urgencias si vienen dudando si se les ha clavado algo en el ojo. Si efectivamente tienen algo clavado en la córnea, al abrir y cerrar el ojo se está ha-

ciendo una herida que puede provocar muchos problemas y provocará un retraso en la curación de esa super cie ocular. La aparición de dolor intenso y repentino, visión borrosa o doble, destellos de luz…

¿Qué factores de riesgo pueden aumentar la probabilidad de desarrollar problemas oculares graves en el futuro?

Muchísimos y la mayoría, que nos parecen de sentido común, son los que menos se aplican. Trabajar muchas horas frente a una pantalla de ordenador. Aquí la hidratación ocular es imprescindible e innegociable, tener el botecito de lágrimas arti ciales al lado de nuestra pantalla de ordenador y utilizarlas varias veces al día mejora muchísimo la sequedad ocular y el confort de nuestros ojos. Sabes que soy un defensor de las gafas con fotoprotección ocular durante todo el año. Los daños que provoca el sol, si nos exponemos a él durante períodos largos, son muy importantes. Con esto no quiero decir que nuestros ojos nunca deban recibir radiaciones solares indirectas, ni mucho menos. Hay una cantidad de reacciones en nuestro cuerpo que necesitan esta radiación sin barreras ni ltros, pero un tiempo muy corto y limitado. El resto del tiempo debemos estar protegidos. En in-

La exposición a polvo en suspensión en determinadas profesiones, el mal uso de lentes de contacto en cuanto al reemplazo, la higiene y el cuidado de las mismas, son otros factores de riesgo a tener en cuenta.

¿Qué papel juega la genética en las afecciones oculares? ¿Y el tipo de sexo? Hay varios estudios que demuestran que no solo la forma o el color de nuestros ojos son hereditarios, sino que también lo son algunas patologías como: glaucoma, degeneración macular, daltonismo e incluso problemas refractivos como la miopía.

También se ha demostrado que la sequedad ocular incide mucho más en el sexo femenino que en el masculino. Una de las explicaciones a este hecho son los cambios hormonales que ocurren en las mujeres y les provocan sequedad en todas las mucosas; bucal, ocular, vaginal…

Los farmacéuticos sois la pieza fundamental para informar al paciente de los efectos secundarios que ciertas medicaciones tienen en la salud ocular. ¿Es habitual prevenir este tipo de interacciones?

Sí, muchas farmacias tenemos nuestra chuleta de medicamentos que provocan sequedad a nivel de mucosas y preguntamos a nuestros pacientes. Tan importante es la sequedad ocular, como la bucal o la vaginal, derivadas del uso de medicamentos.

¿Cómo pueden los pacientes identi car si están experimentando un problema ocular que requiere una consulta médica más especializada?

Para ellos es difícil, a excepción de si su problema viene derivado de un golpe con una rama o una hoja de una planta, o si creen que se les ha clavado algo, el resto de patologías importantes (espero no dejarme ninguna), son de desarrollo lento. Y tienen nombres más conocidos como degeneración macular asociada a la edad, retinopatía diabética, cataratas, glaucoma, etc.

¿Qué rutinas de higiene ocular son más efectivas para la sequedad ocular?

El uso de lágrimas arti ciales e incluso de geles hidratantes por la noche es la primera opción que debemos barajar. Pero también hay que tener en cuenta muchas cosas, desde el tipo de trabajo que desarrolla la persona, el ambiente en el que se encuentra, si su graduación de la vista es correcta, etc.

En cuanto a los complementos alimenticios, hay algún estudio sobre determinados compuestos que podrían ayudar a mantener el ojo más hidratado, pero nada comparable a los colirios, los geles y una buena educación sanitaria a base de rutinas para que nuestros ojos no sufran.

“La patología más consultada es la Enfermedad de Ojo Seco (EOS)”

¿Soléis tener consultas debido al uso de lentes de contacto?

La verdad es que muy pocas, pero depende de dónde este tu o cina de farmacia. Si tienes cerca una óptica, casi nadie vendrá a ti, salvo que la óptica esté cerrada en ese momento. En cambio, en farmacias más alejadas de ópticas tienen muchas más consultas relacionadas con las lentes de contacto.

¿Cómo identi cáis situaciones de riesgo en pacientes como, por ejemplo, la sobre exposición a las pantallas digitales?

Con dos o tres preguntas clave, se ve claramente. Porque la mayoría también re eren Síndrome Visual informático. Tanto tiempo delante de la pantalla hace que parpadeemos menos, la lágrima no es capaz de hidratar y distribuirse bien por toda la super cie del ojo. Pero igual de importante es que, al estar tanto tiempo jándonos en la pantalla, se produce fatiga visual, visión borrosa… Nuestros ojos nos están avisando de que algo va mal y debemos ponerle remedio cuanto antes.

¿Cuáles son los errores más comunes que se cometen en el cuidado de los ojos y cómo podrían evitarse? Uno de los más comunes es tardar mucho en consultar los problemas.

Es curioso que, cuando aparece un derrame ocular, ese que hace que toda la parte blanca de tu ojo se llene de sangre, la gente viene asustada a la farmacia y, al decirle que lo primero es medirle la

tensión arterial y que si está todo correcto no le vas a dar nada, se sorprenden. Luego, les ex plicas por qué se ha podido producir, que tomen una serie de precauciones y no tendrán más problemas y ya se van tranquilos. Pero, como es lógico, reaccionamos ante algo que es llamativo y en cambio, a leves molestias oculares que se alargan en el tiempo, no les prestamos la misma atención.

¿Cómo podemos proteger nuestros ojos de la contaminación o del aire seco, especialmente en ambientes urbanos o durante el invierno?

La mejor manera de cuidar nuestros ojos es, como cualquier otra parte del cuerpo, la higiene. Y en el caso de los ojos, la hidratación. Además, las composiciones de las lágrimas han evolucionado tanto que hay lágrimas arti ciales que incluyen protección UV e incluso antioxidantes para minimizar la acción de los radicales libres.

Es bien sabido el papel que están jugando los farmacéuticos en cuanto a la fotoprotección de la piel. ¿Crees que alguna vez llegará a ser tan importante vuestro papel en la utilización de medidas preventivas de fotoprotección ocular?

La verdad es que es un “trabajazo” y me quito el sombrero. Ver como desde la Vocalía Nacional de Dermofarmacia han ido picando piedra para que hoy tengamos a la población tan concienciada con el tema de la fotoprotección, es de admirar. Aún queda mucho por

SALUDOCULAR

“La mejor manera de cuidar nuestros ojos es la higiene y la hidratación”

recorrer, pero se ha avanzado muchísimo.

Yo creo que cuando la población se dé cuenta que unas buenas gafas de sol, que cubran bien la zona que rodea el ojo, pueden ser el mejor antiarrugas para que no aparezcan las temidas patas de gallo, tendremos mucho ganado… Quizá ese sea el primer paso para aumentar el uso de las gafas de sol de calidad.

Ahora en serio, creo que estamos consiguiendo que la gente sea más consciente de la calidad que compra. Y cuando hablo de calidad no me reero a precios altos, sino de lentes (o cristales en lenguaje más coloquial) que cumplan unos estándares mínimos para que nuestros ojos estén protegidos. Aún estamos educando en una buena elección de las gafas de sol, porque si la población, por desconocimiento, usa lentes que no protegen, tenemos un problema muy serio.

¿Qué tipo de recomendación hacéis sobre fotoprotección ocular en épocas de en las que la incidencia de la radiación solar es más potente?

Es importante elegir unas gafas según sean tus rutinas al aire libre. No es lo mismo un per l más de ciudad sin mar,

que una persona que le gusta navegar o salir a la montaña. Debemos jarnos no solo en la moda, o en si le queda mejor o peor la gafa, es muy importante el uso que le va a dar. Quizá deba tener más de una gafa de sol según las actividades que realice tanto laboralmente, como de ocio.

Vienes de una saga familiar de farmacéuticos de tres generaciones. ¿Qué cambios has presenciado recientemente en el desarrollo de la categoría de cuidado ocular en la farmacia?

Lo más importante es que, además de que el consejo farmacéutico en la categoría ocular ha venido para quedarse, el mero hecho de que se hable de categoría ocular ya es un logro. Antiguamente, se hablaba de la categoría Óptica y englobaba: gafas de presbicia, parches, baños oftálmicos y poco más. Ahora no solo ha cambiado de nombre, sino que tenemos un montón de productos que podemos recomendar relacionados con las necesidades de nuestros ojos.

¿Qué novedades existen actualmente en el mercado de productos de salud ocular?

La aparición de nuevos antiinamatorios y antibióticos de última generación. Las combinaciones en un solo colirio de dos componentes indicados para tratar determinadas patologías, la evolución contante del mundo de la lágrima arti cial…

El menor uso de conservantes, aunque, muchas veces, el diseño de los envases para evitar el uso de conservantes hace que su uso sea muy complicado para personas mayores.

Al nal, si se formulan colirios más completos, y el paciente en un solo envase tiene todo el tratamiento, será más fácil la adherencia a su tratamiento y mejorará su patología.

Por último, ¿hay alguna recomendación o idea que quieras decirnos antes de despedirnos?

Que cuidemos nuestros ojos, que nos rodea un mundo maravilloso, lleno de personas que con solo mirarlas nos transmiten un sinfín de emociones y eso tenemos que guardarlo como un tesoro. fv

Fidelización de clientes

+ innovación + ventas + rentabilidad + fidelización + satisfacción

Descuentos para tus clientes.

Promociones exclusivas.

Informes trimestrales de tu farmacia.

Desarrollamos herramientas y servicios con un alto grado de innovación que mejorarán la rentabilidad de tu farmacia, te ayudarán a vender más y enriquecerán la experiencia de compra de tus clientes.

Los servicios Cruzfarma son exclusivos para las más de 4.100 farmacias socias de las distribuidoras integradas en Unnefar.

Todo lo que necesitas saber sobre la farmacia digital

Además de la venta online, tu estrategia of ine debe estar ligada a la online y convertirse en un negocio multicanal, con más servicios.

Francisco

Sánchez Fuentes

Responsable de Consultoría & Desarrollo de Negocio de Farmacia I+

En los tiempos que nos encontramos, en plena era digital, por todas partes escuchamos la palabra “digital”, todo se ha digitalizado, además esta era iba con una velocidad de crucero, a buen ritmo, pero de crucero, y por lo que vivimos en la pandemia todo se ha acelerado cada vez más potenciándo-

se y acostumbrando al mercado a demandar productos y servicios a través del mundo digital. Llegará un momento en que incluso el mercado exija tener los productos y servicios que necesite por este canal. Es cierto que la pandemia colaboró en todo este progreso, pero no es lo único, la tecnología avanza con un crecimiento exponencial (ver en el grá co dibujado en color verde). Esto signi ca que, si ya nos parece que va rápido y muchos de nosotros no entendemos nada, o empezamos a no entender nada, a medida que pasen los años, y

dentro de pocos meses o semanas, menos vamos a entender, ya que los descubrimientos son tantos y tan revolucionarios que no somos capaces de comprender cómo nos afectará. La inteligencia arti cial, por ejemplo, a nuestras farmacias, clientes, trabajos actuales, hijos… Por supuesto no estoy diciendo que esto deba ser algo malo, y que por ello tengamos que asustarnos, para nada, pero sí tendremos que adaptarnos en un continuo cambio, y esto es algo que a lo largo de la historia de la humanidad no ha cambiado. Vi-

Vivimos en un continuo cambio y solo progresan los que mejor se adaptan a dicho cambio”

vimos en un continuo cambio y solo progresan los que mejor se adaptan a dicho cambio. En una foto tomada en la Puerta del Sol de Madrid en 1900, se puede observar que todo son carruajes de caballos, habría toda una maquinaria empresarial alrededor del caballo en el mundo entero, desde alimentación, carruajes, carros, piensos, herrajes y un largo etcétera. Imaginaros lo que tuvo que ser, pero la tecnología se abrió paso, solo tendrían que pasar 20 años más para que empezaran a verse los primeros vehículos y en tan solo 20 años más se impusieron por completo, revolucionando todo tal y como se conocía, dando paso a grandes avances a nivel logístico no solo de personas sino también de productos hasta el día de hoy con empresas como Glovo o Amazon.

¿Qué quiero decir con todo esto?

Pues que tendremos que adaptarnos, no podemos mirar para otro lado porque eso no hará que desaparezca y cuanto antes aprendamos esto, antes empezaremos a recalcular nuestro GPS, y aprender todo lo que esta era puede ofrecernos. Bajando a tierra en nuestro sector, si tuviéramos que imaginar que va a pasar en el futuro, solo tenemos que mirar que está ocurriendo actualmente en don-

de la cita médica online cada vez es más frecuente, la teleasistencia ya es una realidad... pero en el sector farmacia ¿qué repercusiones en un futuro puede ocasionar? Aquí en España no se si llegaremos a esto, pero en China ya es muy frecuente encontrarte una cabina en la calle la

Recalcular nuestro GPS y aprender todo lo que esta era puede ofrecernos”

Crecimiento exponencial de la tecnología.
Puerta del Sol de Madrid en 1900.
“Ya no es una opción no tener de alguna manera este servicio”

cual te suministra una atención médica sin necesidad de personal médico presencial; al principio te atiende una IA que te hace las preguntas previas y luego, con la información recibida, te deriva a un médico, el cual diagnostica y te envía la receta, todo en menos de 10 minutos. Una de las plataformas que funcionan así se llama “Ping An Good Doctor”, la cual no solo tiene este servicio, sino que también tiene un dispensador de algunos medicamentos. Os dejo una foto de la cabina, ¿os imagináis una cabina de estas al lado de vuestra farmacia?

Lo que sí es una realidad es que la venta de medicamentos online es presente, bajo un control y siempre bajo la responsabilidad de un farmacéutico y con una farmacia física donde se custodie, pero ya existe la posibilidad de pedir ciertos fármacos que no necesitan receta vía online. Aquí hay que tener claro dos cosas claves; la primera es que ya no es una opción no tener de alguna manera este servicio, ya que es algo que las generaciones presentes y futuras demandarán y cuanto antes te pongas con ello, antes aprenderás tú y tu equipo a saber cómo funciona y que protocolos poner en marcha. La otra cosa que debemos tener en cuenta es que tener un e-commerce no signi ca que vamos a vender muchísimo

por internet, esto no es así, requiere de gran conocimiento e inversión en posicionamiento. Por ello una buena alternativa es participar en portales que ya están con toda esta área desarrollada como puede ser Glovo. El problema es que reducen el margen y esto afecta mucho a la cuenta de resultado, pero por lo menos algo andamos en el camino. La farmacia digital no solo se resume en la venta online, existen más cosas aparte de esto, como por ejemplo tener en cuenta que tu estrategia offline debe estar ligada a la estrategia online y convertirse en un negocio multicanal, en donde ampliemos los servicios a nuestros clientes. También podemos mejorar la comunicación con nuestros clientes por esta vía digital, apoyándonos en las RRSS, o comunicándonos directamente con ellos por diferentes tecnologías como puede ser WhatsApp o email, en donde podemos tener un seguimiento más frecuente con ellos, preocupándonos de cómo les están afectando los productos que están consumiendo o los diferentes tratamientos

que estamos recomendando desde la farmacia, me re ero a tratamientos dermocosméticos o capilares, por ejemplo.

En FARMACIA I+, utilizamos un CRM muy potente el cual registra todos los servicios sanitarios que los clientes van recibiendo para guardar todos los parámetros que se analizan y tener un histórico, y todo se comparte con los clientes a través de la app de cliente, de manera que tienen toda la información sanitaria a su alcance para que puedan compartirlo de una manera cómoda con su médico, y esa información es muy importante para que el doctor pueda realizar un buen diagnóstico o seguimiento de su paciente.

Otra gran revolución es la digitalización en los procesos internos de la farmacia, en donde muchos de esos procesos se automatizan apoyándonos o no en IA. Por ejemplo, para cuadrar los horarios de los equipos, el control de los stock de la farmacia, la gestión de caducados de la misma, la gestión de precios en la superce de venta con etiquetas electrónicas inteligentes; esto supone

Cabina “Ping An Good Doctor”.

una revolución, ya que era algo que consumía mucho tiempo. Si seguimos con el ejemplo de las etiquetas inteligentes, el equipo, a la hora de actualizar precio en toda la super ce de venta de la farmacia, invertía mucho tiempo, pero la mejora no solo se queda en este ahorro de tiempo; además, estas etiquetas nos ayudan en la gestión de las diferentes referencias, ya que nos avisan si el producto está próximo a caducar, si su rotación se ha frenado, comunicando el stock actual que tenemos de dicha referencia o si el articulo esta en promoción, con lo que ayuda muchísimo al equipo en la gestión y control, lo que hace que se reduzcan los errores de stock.

No podemos no hablar en este artículo de la aparición de pantallas de todo tipos y todos los tamaños. Con algunas podemos interactuar mostrando un lineal y, si tocamos algún producto, nos puede ampliar información e incluso sugerirnos una venta cruzada; otras simplemente son informativas para, por ejemplo, mostrar catálogos de ortopedia virtuales, haciendo que podamos ampliar el surtido, sobre todo teniendo en cuenta que algunos de estos productos ¡pueden tener grandes dimensiones como son las camas articuladas.

A nivel de gestión interna, el sector de farmacia no se ha quedado atrás con las recetas electró-

“La era digital en la farmacia ha impactado y modi cado todo”

nicas, albaranes electrónicos, empresas del sector que han desarrollado diferentes softwares que nos facilitan la gestión de la farmacia con el control y presentación de la información de los ERP, también en el control de la facturación y un largo despliegue de diferentes app y soluciones para ello.

La automatización de los procesos con ayuda de la robotización también es un gran avance de esta era, nada tienen que ver los primeros robots que aparecieron en las farmacias con los últimos avances del mercado, capaces de recepcionar cualquier tipo de envase, sea redondo o plano, y también mejorando mucho la automatización en la recepción y carga del robot, ayudando al equipo a recuperar tiempo para dedicar a otras tareas y mejorando el control del stock y la gestión de caducados nuevamente. Otras máquinas que se han hecho casi imprescindibles son las máquinas de gestión de efectivos. Es verdad que actualmente un gran número de las operaciones que se realizan en la farmacia se pagan con tarjeta, pero aun sigue existiendo el dinero, y estas máquinas hacen que el fallo humano

En de nitiva, la era digital en la farmacia ha impactado y modi cado todo, dando paso a un servicio más personalizado, tratando las necesidades especicas de cada uno y teniendo una comunicación más directa, dando como resultado un mejor cuidado de nuestros pacientes, que es exactamente a lo que nos dedicamos, a cuidar la salud de nuestros clientes con ayuda de las nuevas tecnologías. fv Todo

desaparezca, y todo el proceso sea más seguro. Otra máquina que ya forma parte de la realidad de muchas farmacias, sobre todo las que tienen horas punta en donde existe una gran a uencia en la farmacia, son los gestores de colas, también conocidos como “turneros”, que ayudan a dirigir al cliente hacia los diferentes mostradores. Muchos identi can las necesidades de los clientes y redirigen el trá co según esta necesidad, que puede ser muy diversa; igual el cliente viene a recoger un encargo que ha realizado por WhatsApp, o es un cliente que necesita asesoramiento sobre un producto o caja rápida, que es cuando el cliente no necesita consejo farmacéutico y lo único que necesita es que le cobren.

La revolución digital en la farmacia: la era de la farmacia digital

La digitalización ha transformado múltiples sectores de la economía global y la farmacia no es una excepción. En el contexto de una era marcada por el avance tecnológico y la interconexión global, las farmacias han tenido que adaptarse a nuevas realidades para mejorar sus procesos, optimizar la atención al paciente y mantenerse competitivas.

Laura Estévez García

Este artículo explorará en profundidad cómo la digitalización está revolucionando la farmacia, los bene cios que ofrece, los desafíos que presenta y el futuro prometedor que augura.

La farmacia ha sido tradicionalmente un pilar en el sistema de salud, centrada en la dispensación de medicamentos y el asesoramiento a los pacientes. Sin embargo, con el advenimiento de la tecnología digital, esta función se ha ampliado y so sticado. Hoy en día, las farmacias están adoptando herramientas digitales que van desde sistemas de gestión de inventarios hasta aplicaciones móviles para la educación del

paciente y la entrega de medicamentos a domicilio.

La digitalización en la farmacia implica la integración de tecnologías avanzadas como el Internet de las Cosas (IoT), inteligencia arti cial (IA), Blockchain y Big Data. Estas tecnologías no solo mejoran la eciencia operativa, sino que también permiten una atención más personalizada y precisa, mejorando la experiencia del paciente y su adherencia al tratamiento.

Bene cios de la digitalización en la farmacia

• Mejora en la gestión de medicamentos

Uno de los mayores bene cios de la digitalización en la farmacia es la mejora en la gestión de medicamentos. Los sistemas automatizados permiten una gestión más precisa y eciente del inventario, reduciendo el riesgo de errores y garantizando que los medicamentos estén disponibles cuando los pacientes los necesitan.

Las herramientas digitales como los sistemas de gestión de farmacia (PMS) y los códigos de barras permiten un seguimiento en tiempo real del inventario, alertando al personal cuando los niveles de stock son bajos y evitando

tanto el exceso como la falta de productos. Además, estos sistemas pueden integrarse con las bases de datos de proveedores, facilitando la reposición automática y asegurando que los medicamentos sean frescos y estén dentro de su vida útil.

• Optimización de procesos

La digitalización también optimiza numerosos procesos dentro de la farmacia. Las soluciones automatizadas pueden encargarse de tareas repetitivas y administrativas, permitiendo al personal concentrarse en actividades que requieren una mayor interacción humana, como el asesoramiento al paciente.

Los sistemas de receta electrónica eliminan la necesidad de manejar recetas en papel,

“ La digitalización ha transformado múltiples sectores de la economía global y la farmacia no es una excepción”

reduciendo el riesgo de errores y simpli cando el proceso de dispensación. Además, las herramientas de análisis de datos permiten a las farmacias identi car patrones de consumo, predecir la demanda futura y ajustar sus inventarios en consecuencia.

• Mejora en la atención al paciente

La tecnología digital ha permitido a las farmacias ofrecer una atención más personalizada y proactiva. Las aplicaciones móviles, por ejemplo, permiten a los pacientes gestionar sus recetas, recibir recordatorios para tomar sus medicamentos y acceder a información sobre sus tratamientos.

Las plataformas de telemedicina han hecho posible que los farmacéuticos ofrezcan consultas a distancia, lo que es especialmente útil para pacientes con movilidad reducida o aquellos que viven en áreas rurales. Además, las herramientas de seguimiento digital permiten monitorizar la adherencia al tratamiento y enviar alertas en caso de incumplimiento, mejorando así los resultados de salud del paciente.

• Seguridad y cumplimiento

La digitalización también mejora la seguridad y el cumplimiento normativo en la farmacia. Los sistemas de gestión digital pueden garantizar que todos los procesos cumplan con las regulaciones vigentes, desde la dispensación de medicamentos hasta el manejo de datos de pacientes.

Las tecnologías como el blockchain ofrecen una capa adicional de seguridad al propor-

cionar una cadena de custodia inmutable para los medicamentos, asegurando que no se produzcan falsi caciones o manipulaciones. Esto es crucial en la lucha contra los medicamentos falsi cados, que representan una amenaza signi cativa para la salud pública.

Desafíos de la digitalización en la farmacia

• Costo de implementación

Uno de los principales desafíos de la digitalización es el costo asociado con la implementación de nuevas tecnologías. La adquisición de hardware y software, la capacitación del personal y el mantenimiento de los sistemas pueden representar una inversión signi cativa para las farmacias, especialmente para las pequeñas y medianas.

• Interoperabilidad

La interoperabilidad, o la capacidad de los diferentes sistemas y tecnologías para trabajar juntos de manera e ciente, es otro desafío crítico. En muchos

casos, las farmacias deben integrar sus sistemas con los de proveedores, centros de salud y otras partes interesadas, lo que puede ser complicado debido a las diferencias en los estándares y protocolos.

• Privacidad y seguridad de datos

La protección de la privacidad y la seguridad de los datos es fundamental en la digitalización de la farmacia. El manejo de información sensible del paciente requiere cumplir con estrictas regulaciones como el Reglamento General de Protección de Datos (GDPR) en Europa y la Ley de Portabilidad y Responsabilidad de Seguros de Salud (HIPAA) en Estados Unidos. Las farmacias deben implementar medidas robustas para proteger los datos contra el acceso no autorizado y las ciberamenazas.

• Resistencia al cambio Finalmente, la resistencia al cambio por parte del personal y los pacientes puede ser un obstáculo signi cativo. La adopción de nuevas tecno-

La digitalización en la farmacia implica la integración de tecnologías avanzadas como el Internet de las Cosas (IoT), inteligencia arti cial (IA), Blockchain y Big Data”

logías requiere tiempo y esfuerzo para la capacitación y la adaptación. Es crucial involucrar a todos los interesados en el proceso de digitalización y demostrar los bene cios tangibles que estas tecnologías pueden ofrecer.

Tecnologías emergentes en la farmacia digital

• Inteligencia arti cial y Big Data

La inteligencia arti cial (IA) y el Big Data están revolucionando la farmacia al permitir análisis avanzados y la toma de decisiones informadas. La IA

La IA y el Big Data son tecnologías emergentes en la farmacia digital.

puede ayudar a predecir la demanda de medicamentos, optimizar el inventario y personalizar las recomendaciones de tratamiento basadas en el historial del paciente.

El Big Data permite a las farmacias analizar grandes volúmenes de información para identi car tendencias, mejorar la e ciencia operativa y desarrollar estrategias de marketing más efectivas. Además, estas tecnologías pueden facilitar la investigación y el desarrollo de nuevos medicamentos, acelerando el proceso de descubrimiento y aprobación.

• Internet de las Cosas (IoT)

El Internet de las Cosas (IoT) está transformando la forma en que las farmacias interactúan con los pacientes y gestionan sus operaciones. Los dispositivos IoT pueden monitorizar las condiciones de almacenamiento de los medicamentos, asegurando que se mantengan en un entorno óptimo. Además, los dispositivos de monitoreo remoto pueden enviar datos en tiempo real sobre la

adherencia al tratamiento, permitiendo a los farmacéuticos intervenir de manera proactiva si se detectan problemas.

• Blockchain

El Blockchain ofrece una solución innovadora para garantizar la transparencia y la seguridad en la cadena de suministro de medicamentos. Esta tecnología permite rastrear cada paso del proceso de producción y distribución, asegurando la autenticidad de los medicamentos y evitando la falsi cación. Además, el Blockchain puede facilitar la gestión de datos del paciente, proporcionando un registro seguro e inmutable de su historial médico.

Estrategias para una implementación exitosa de la digitalización en la farmacia

Para garantizar una transición exitosa hacia la digitalización, las farmacias deben seguir una serie de estrategias clave:

• Evaluación de necesidades

Antes de implementar nuevas tecnologías, es crucial realizar

una evaluación exhaustiva de las necesidades y desafíos especí cos de la farmacia. Esto incluye identi car las áreas que pueden bene ciarse más de la digitalización y establecer objetivos claros y medibles.

• Selección de tecnologías adecuadas

La selección de las tecnologías adecuadas es fundamental para el éxito de la digitalización. Las farmacias deben investigar y comparar diferentes soluciones, considerando factores como la funcionalidad, la compatibilidad, el costo y el soporte técnico.

• Capacitación del personal La capacitación del personal es esencial para garantizar una adopción efectiva de las nuevas tecnologías. Las farmacias deben invertir en programas de formación que aborden tanto los aspectos técnicos como los operativos, asegurando que el personal se sienta cómodo y competente en el uso de las herramientas digitales.

• Gestión del cambio

La gestión del cambio es crucial para superar la resistencia y garantizar una transición suave. Esto implica comunicar claramente los bene cios de la digitalización, involucrar al personal en el proceso de implementación y ofrecer so-

La capacitación del personal es esencial para garantizar una adopción efectiva de las nuevas tecnologías”

La selección de las tecnologías adecuadas es fundamental para el éxito de la digitalización.

porte continuo para resolver cualquier problema que pueda surgir.

• Monitoreo y evaluación

Finalmente, es importante monitorear y evaluar continuamente el impacto de las tecnologías digitales en la farmacia. Esto incluye medir el rendimiento en relación con los objetivos establecidos, identi car áreas de mejora y realizar ajustes según sea necesario.

En España, varias farmacias han logrado destacarse por su éxito en la digitalización, integrando tecnologías avanzadas y mejorando tanto su eficiencia operativa como la atención al cliente.

• Farmacia Plaza del Pilar (Zaragoza): esta farmacia ha implementado un sistema de gestión de inventarios digitalizado que asegura la disponibilidad continua de medicamentos y reduce el desperdicio. Además, han adoptado un sistema de automatización robótica para la dispensación de medicamentos, lo que minimiza errores y agiliza el servicio. (Datos obtenidos de farmaventas.es y elfarmaceutico.es)

• Farmacia La Vega (Murcia): ha desarrollado una plataforma online robusta que permite a los clientes realizar pedidos de medicamentos y productos de salud directamente desde su sitio web. También ofrecen servicios de consulta a través de videollamadas y chat en línea, facilitando el acceso a asesoramiento farmacéutico personalizado desde casa. (Datos obtenidos de farmaventas.es)

Es importante monitorear y evaluar continuamente el impacto de las tecnologías digitales en la farmacia.

La clave del

éxito radica en la adopción de tecnologías que no solo optimizan procesos, sino que también ponen al paciente en el centro de la atención farmacéutica”

• Farmacia Ribera (Madrid): esta farmacia ha adoptado el Sistema Personalizado de Dosi cación (SPD), que organiza los medicamentos en envases que indican la fecha y hora de la toma. Además, utilizan inteligencia arti cial para gestionar las interacciones medicamentosas y ofrecer recomendaciones personalizadas a los pacientes. (Datos obtenidos de elfarmacéutico.es)

• Farmacia Central de Alcoy (Alicante): ha integrado un sistema avanzado de gestión de recetas electrónicas y un software de atención al cliente que mejora la e ciencia y reduce los tiempos de espera. También han implementado

una plataforma de comunicación que permite enviar recordatorios de medicación y consejos de salud a sus clientes a través de aplicaciones móviles y correos electrónicos.

(Datos obtenidos de farmaventas.es)

Estas farmacias han demostrado cómo la digitalización puede transformar el sector farmacéutico, proporcionando servicios más e cientes y personalizados, mejorando la gestión interna y aumentando la satisfacción del cliente. La clave del éxito radica en la adopción de tecnologías que no solo optimizan procesos, sino que también ponen al paciente en el centro de la atención farmacéutica. fv

El marco de la farmacia en 2025

Te voy a contar algo que te suena…

La farmacia de hoy no tiene nada que ver a la de hace 25 años.

La última década ha sido unos años en los que los cambios han cogido una velocidad vertiginosa. Son momentos en los que vemos la importancia de plani car, de coger el timón de tu farmacia para mantener el control y no zozobrar, a pesar de lo que ocurra alrededor. La farmacia en la que yo empecé, en la que nos centrábamos en gestionar el producto de forma e ciente, en la que la gestión del equipo era mucho más simple, la comunicación solo se desarrollaba en el mostrador y las

campañas de marketing eran algo optativo y solo para aquellas farmacias más inquietas; esa parece que desapareció hace mucho tiempo y de golpe. Ahora tenemos un marco mucho más cambiante, ambicioso y retador. Se podría decir que la farmacia de ahora no está hecha para acomodarse, sino para adaptarse a otra realidad, marcada por:

• Un cliente omnicanal, tecnológico, digital, mucho más exigente, preocupado por el medioambiente, que busca una experiencia personalizada y compras de calidad.

• Herramientas tecnológicas aplicadas, que debemos aprovechar para, de forma digital, ofrecer una experiencia de compra, consejo y asesoramiento. Que nos sumen siempre.

• Especialización de la farmacia física con una selección del surtido en base a las necesidades terapéuticas de los clientes, la profesionalización del equipo con planes de formación, la oferta de unos servicios de valor y una experiencia de compra personalizada en base a un consejo desde el mostrador.

Y, claro, saber cómo comportarnos no siempre es fácil… pero para mí hay unas claves imprescindibles:

1. Volver a nuestra esencia, con nuestro cliente en el centro de todo y una base de profesionalidad y asesoramiento sanitario.

2. Sanitarios y empresarios. Son dos roles igual de reales en el día a día de los titulares

Luis de la Fuente CEO del Grupo MEDIFORMPLUS.

de farmacia, por lo tanto, es importante aprender a trabajar desde ambos.

3. Primero, un plan estratégico. La falta de objetivos deja a la farmacia a la deriva en base a la coyuntura económica y social. Tener una hoja de ruta que se base en un estudio completo de la farmacia, de su entorno, su competencia y de toda la actividad interna que se hace, será la guía del proceso de mejora del negocio en todo momento.

4. Especialización. Ya no vale un “aquí tenemos de todo”, eso ya suena a Amazon. En este momento es importante tener muy claro qué somos y cómo nos presentamos, es la única forma de desarrollar este elemento diferenciador y único de tu farmacia en el cual estará posicionada como marca de salud.

5. Servicios de valor. Ser un establecimiento sanitario es, de por sí, una clara ventaja competitiva de la farmacia, y es importante potenciarla como un espacio de salud en primera línea de prevención, desarrollando servicios que aporten un valor añadido, orientación al cliente, atención farmacéutica, SPDs, consejo dermofarmacéutico o análisis y seguimiento de parámetros sanguíneos.

“Es importante potenciar la farmacia como un espacio de salud”

6. Cuidar de nuestro equipo y trabajar los RRHH de nuestra farmacia a través del liderazgo, con todos los retos que esto supone en el mercado laboral actual. Es importante invertir en procesos de selección, apostar por planes formativos que aseguren la capacitación de nuestros trabajadores y contar con planes motivacionales adecuados a nuestro negocio.

7. El dinamismo y el marketing son ya IMPRESCINDIBLES, hace solo una década era algo optativo en las farmacias, ahora no. Ahora es una partida de gasto absolutamente necesaria y también es imprescindible saber invertirla correctamente para que no sea un agujero negro sin bene cios.

8. La unión hace la fuerza. Esto siempre es una realidad, y el sector farmacéutico no es una excepción. Además, nuestro sector cada vez es más amplio y cuenta con un mayor número de actores. Por eso, el networking cada vez tiene más importancia y es

algo que debemos tener en cuenta; así como contar con partners estratégicos con los que trabajar mano a mano y siempre para el win to win.

9. Digitalización a nuestro favor. La IA y las nuevas herramientas digitales no deben asustarnos, todo lo contrario, vamos a hacer uso de las mismas y aprovecharlas, con cuadros de mando más desarrollados, aplicaciones para mejorar la experiencia de compra, medios para mejorar nuestro conocimiento, etc.

10. Que el futuro es más complejo que antes no cabe duda, pero eso no signi ca que sea peor, quizá incluso nos da más oportunidades. Simplemente necesitamos de más ayuda para llegar lejos, por eso, no dudes en apoyarte en profesionales para hacer crecer tu negocio y apoyarte en tu gestión.

Os animo a coger las riendas de vuestra farmacia, siendo dueños de su evolución para que los cambios nos impulsen y no nos arrastren. fv

El seguimiento farmacoterapéutico de psicofármacos, clave para prevenir el riesgo de suicidio

“La adherencia terapéutica de tratamientos con psicofármacos es un factor clave para prevenir el suicidio u otras patologías mediante el seguimiento farmacoterapéutico con Sistemas Personalizados de Dosicación (SPD) y la revisión del botiquín”, aseguró Lluís García,

vocal de Ortopedia del Col·legi de Farmacèutics de Barcelona (COFB), en la tertulia “Prevención del suicidio. ¿Qué podemos hacer desde la farmacia comunitaria?”, organizada por el COFB con el patrocinio de Lundbeck. García posicionó la farmacia comunitaria como un

punto estratégico para la prevención del suicidio.

Test de Frindrisk y glucemias en el COF de Burgos

Con motivo del Día Mundial de la Diabetes, se realizaron en el COF test de Frindrisk, que mide el riesgo que una persona puede tener de desarrollar una diabetes tipo 2, y pruebas de glucosa en sangre (glucemias) gratuitas a los burgaleses que se acercaron a la sede colegial. Farmacéuticas especialistas en análisis clínicos del Hos-

FarmaHelp supera el millón de medicamentos localizados desde su lanzamiento

FarmaHelp, la herramienta de la organización farmacéutica colegial que permite al farmacéutico comunitario contactar con las farmacias de su entorno cuando un paciente necesita un medicamento y no dispone del mismo,

ha sobrepasado el millón de medicamentos localizados desde su lanzamiento en 2020.

pital Universitario de Burgos (HUBU) realizaron las pruebas. Con una pequeña punción en el pulpejo del dedo se hizo esta prueba sencilla para conocer los niveles de glucosa en sangre. La campaña fue en colaboración con la Asociación de Diabéticos de Burgos (ASDIBUR) y dentro de sus XL Jornadas de Información sobre Diabetes.

Solo en 2024 esta herramienta ha encontrado más de 500.000 medicamentos, con un porcen-

taje de éxito superior al 71% de las búsquedas, gracias a la colaboración de las farmacias comunitarias adheridas.

Farmacéuticas analistas del HUBU realizando glucemias.
Lluís García, Cecilia Borràs, Diego Palao y Clara Rubio.

Casi 6.000 farmacias son reconocidas como Puntos Violeta para prevenir y detectar casos de violencia de género

Un total de 5.988 farmacias de toda España han sido ya reconocidas como Puntos Violetas permanentes o puntuales por el Ministerio de Igualdad con capacidad para prevenir y detectar casos, proteger y orientar a las mujeres y las niñas que su-

Asamblea General del COFM

El presidente del Colegio O cial de Farmacéuticos de Madrid (COFM), Manuel Martínez del Peral, hizo en diciembre un balance de un ejercicio de “avance y consolidación” en la organización colegial con el objetivo de impulsar el valor sanitario y social de la profesión farmacéutica. Durante la Asamblea General Ordinaria de la corporación

madrileña, destacó el valor de la profesión farmacéutica y resaltó el papel de la red de tres mil farmacias de la Comunidad de Madrid. “Las farmacias comunitarias son un eslabón imprescindible de la atención primaria en nuestra región para mejorar la prevención, la detección precoz o el tratamiento

fren cualquier tipo de violencia de género y sexual. La profesión farmacéutica recuerda que las farmacias son espacios seguros y se suma a la campaña institucional “Ni una más. Ni una menos”, del Ministerio de Igualdad, cuyo objetivo es visibilizar y condenar la violencia de género.

de síntomas menores y reducir la sobrecarga asistencial de la atención primaria”, subrayó.

Farmacéuticos se une a la iniciativa de YouTube Health España como fuente de información sanitaria autorizada

El Consejo General de Colegios Farmacéuticos se ha incorporado en la iniciativa de YouTube Health España como fuente de información sanitaria autorizada. Se trata del primer consejo general de las profesiones sanitarias en unirse a esta iniciativa que tiene por objetivo luchar contra la desinformación y priorizar el acceso de los usuarios de la plataforma a información con able de fuentes reconocidas. El canal del CGCOF de videoconsejos sanitarios “Tu Farmacéutico Informa” cuenta con más de 2.000 videos publicados, acumula más de 129 millones de visualizaciones y supera los 600.000 seguidores.

Manuel Martínez del Peral durante la Asamblea General.

Campaña informativa sobre trastornos de la conducta alimentaria del COF de Ourense

El COF de Ourense presentó una campaña informativa sobre trastornos de la conducta alimentaria, de ámbito autonómico, que cuenta con el apoyo de todos los colegios farmacéuticos de Galicia, además de con el Colegio O cial de Psicología de Galicia, la Asociación de Prevención y Ayuda a los Trastornos de la Conducta Alimentaria (CIOR Galicia) y la Asociación de Bulimia y Anorexia de A Coruña (ABAC). El sector farmacéutico tratará de transmitir los hábitos alimentarios saludables a la sociedad, a través de carteles informativos, vídeos y publicaciones en redes sociales, en especial TikTok.

Un total de 22 farmacias se han sumado a la nueva Red de Farmacias Cardioprotegidas de Gipuzkoa. Es una iniciativa im -

Nace la Red de Farmacias

Cardioprotegidas de Gipuzkoa

pulsada por el COFG con el objetivo de reforzar la capacidad de respuesta inmediata ante situaciones de parada cardiorrespiratoria en el territorio, mediante el acceso rápido a des briladores y profesionales sanitarios formados para atender, en un primer momento, este tipo de

urgencias. Gipuzkoa se convierte así en la primera provincia de la Comunidad Autónoma Vasca en contar con una red estructurada de farmacias cardioprotegidas con la que aumentan las probabilidades de que una persona en parada cardiorrespiratoria reciba asistencia inmediata.

Deba se suma al programa del Departamento de Salud y COF de Gipuzkoa

El director de Farmacia del Gobierno Vasco, Jon Iñaki Betolaza; la alcaldesa de Deba, Alazne Txurruka, y el presidente del COF de Gipuzkoa, Miguel Ángel Gastelurrutia, suscribieron el acuerdo para la adhesión del municipio guipuzcoano al Programa de mejora de uso de medicamentos en-

tre las personas usuarias del Servicio de Ayuda Domiciliaria y Servicios Sociales. Con la incorporación de Deba, son ya 47 los municipios de Gipuzkoa que participan en el mismo. El objetivo fundamental del programa es facilitar el acceso al medi-

camento y garantizar el correcto cumplimiento del tratamiento, mediante la mejora del uso de la medicación y la adherencia. Farmacéuticas de Deba junto a Gastelurrutia, Alazne Txurruka y Jon Iñaki Betolaza.

El presidente del COF de Ourense, Santiago Leyes; la presidenta de CIOR Galicia, Luz Cid, y el vocal de Alimentación, Fernando Gil.
La

presidenta del Congreso de los Diputados, Francina Armengol, destaca el papel fundamental de la farmacia en la cohesión social y como servicio que humaniza la sanidad

El Consejo General de Colegios de Farmacéuticos entregó en diciembre las Medallas de la Profesión y los Premios Panorama a los medicamentos, en un acto presidido por la presidenta del Congreso de los Diputados, Francina Armengol.

“La nueva Ley del Medicamento no es solo una cuestión de legislación, es una cuestión de compromiso y de asegurar la sostenibilidad de la red de farmacias. Y para ello debe prestar una atención especial a las farmacias en zonas rurales, aisladas o deprimidas, y que las reformas en precios y nanciación permitan mantener una farmacia social, accesible y viable económicamente”, declaró el presidente del Consejo General de Colegios de Farmacéuticos, Jesús Aguilar, durante el evento. Además, el presidente del Consejo tuvo un recuerdo para los afectados por la DANA y la labor de los farmacéuticos.

nerosos”. Porque la “o cina de farmacia es un servicio público de primer nivel, sin la farmacia, sin los farmacéuticos, sin la cercanía, sin la proximidad, sin la capacidad de capilarización con la ciudadanía, nuestro país sería in nitamente peor. Lo hemos demostrado siempre, en los buenos momentos, pero, sobre todo, en los malos”.

Por su parte, la presidenta del Congreso de los Diputados agradeció la labor del Consejo General de Colegios Farmacéuticos y transmitió su compromiso para “tirar” de la farmacia, por “generosidad, porque los farmacéuticos si algo somos es ge-

La ministra de Sanidad, Mónica García, que intervino telemáticamente, mostró su compromiso en fortalecer el papel de los farmacéuticos destacando su labor en el ámbito rural y entrega y profesionalidad durante la DANA.

Premios y Medallas

En esta edición de los Premios Panorama - impulsados por la revista cientí ca del Consejo General Panorama Actual del Medicamento – se distinguió a Tirzepatida (Mounjaro®) de Lilly.

El jurado quiso destacar de este fármaco que es un “un novedoso medicamento con un amplio potencial terapéutico que ya ha demostrado prometedores resultados clínicos”. Además, Inclisirán (Leqvio®) de Novartis, fue merecedor de una Mención de Honor “por ser el primer medicamento basado en un ARN pequeño de interferencia que se usará en enfermedades metabólicas de alta prevalencia”, a juicio del jurado de los premios. Por otra parte, se concedieron las Medallas de la Profesión Farmacéutica a Margarita Alfonsel, exsecretaria general de Fenin; Teodomiro Hidalgo, que fue vocal nacional de O cina de Farmacia del Consejo General; el exminsitro y farmacéutico, José Manuel Miñones; Carmen Recio, que fue directora técnica del Consejo General y Juan José Sánchez, General de Brigada Farmacéutico.

CHIESI otorga los ‘Premios UCInnova’

Chiesi España & Portugal premia cuatro proyectos de innovación y sostenibilidad de las UCIs en el ámbito de las patologías respiratorias en la primera edición de los ‘Premios UCInnova’, en los que han participado un total de 15 hospitales de toda España.

Cuatro iniciativas premiadas

En la categoría de Sostenibilidad, ha sido premiado el proyecto ‘Curas intensivas y sostenibilidad: un futuro responsable’ del Hospital Universitario de Vall d’Hebron de Barcelona, por el estudio observacional descriptivo en el que han participado profesionales de la salud y familiares de pacientes durante 4 meses y que servirá de guía para el desarrollo de un programa de sostenibilidad centrado en la optimización de recursos de la unidad. El segundo premio ha sido para ‘UCI Sostenible: Let’s go green’ del Hospital Universitario del Henares de Madrid. Para la categoría Bienestar de los pacientes, el primer proyecto premiado fue ‘Plan de actuación Intensivos Pediátricos’ del Hospital Sant Joan de Déu de Barcelona, que busca entender la experiencia de las familias con lactantes ingresados en la UCIP por bronquiolitis con la voluntad de mejorar el PICS-F. El segundo proyecto premiado en la misma categoría ha sido para ‘Paseos en UCI: más allá de la humanización’ del Hospital Infanta Sofía de Madrid.

LABORATORIOS VILARDELL

celebra su 90 aniversario con un evento en La Pedrera

Laboratorios Vilardell celebró su 90 aniversario con un evento en La Pedrera de Barcelona, que reunió a destacados profesionales del sector farmacéutico, instituciones y miembros de la comunidad.

Laboratorios Vilardell es una compañía fundada en 1934 en Barcelona por Joan Vilardell Garriga en la Farmacia Vilardell, que, en este último ejercicio, consiguió una facturación de 6,5 millones de euros, un crecimiento superior al 30 % con respecto al año anterior. El evento fue presidido por el M.H.P. de la Generalitat, Salvador Illa, e inaugurado por Clara Oller, CEO de Laboratorios Vilardell, y Ricard García, director adjunto de la compañía. Concluido el homenaje, Jaume Guillén, empresario farmacéutico y profesor en la Universitat de Barcelona, abordó en una conferencia la importancia de la salud digestiva y el valor de la colaboración entre farmacéuticos y proveedores especializados como Laboratorios Vilardell. Finalmente, Gemma Bruna, presentadora del evento, moderó una mesa redonda, en la que participaron: Clara Oller; Josep María Argimón, director de Infraestructuras Cientí cas del BBRC de Fundación Pasqual Maragall, y Jordi Casas, presidente del CCFC y del COF de Barcelona.

Clara Oller, Salvador Illa y Ricard García.

OTSUKA PHARMACEUTICAL

celebra sus 50 años en Europa y amplía su negocio a Portugal

La compañía multinacional farmacéutica

Otsuka, fundada en Japón en 1921, ha celebrado este 2024 su 50 aniversario en Europa. Se trata de una conmemoración que, además, coincide con una novedad importante: la ampliación de negocio a Portugal. De este modo, la o cina en España, ubicada en Barcelona, dirigirá también la sede de este país.

José Manuel Rigueiro, director general de Otsuka Pharmaceutical en España, ha destacado que “estamos muy orgullosos de nuestro trabajo en estos 50 años. Los esfuerzos de investigación y desarrollo y las alianzas con empresas farmacéuticas con las que compartimos valores nos han permitido aprobar medicamentos punteros en Europa que han ayudado a mejorar la salud y calidad de vida de muchas personas. Un ejemplo de ello es el desarrollo de uno de los tratamientos más utilizados en el mundo para la esquizofrenia y el trastorno bipolar, incluido en la Lista de Medicamentos Esenciales de la Organización Mundial de la Salud (OMS)”.

Tres líneas de negocio

En la actualidad, el grupo Otsuka en Europa está formado por 36 empresas con más de 500 empleados, que trabajan en tres líneas de negocio principales: farmacéutica, nutracéutica y química. La división farmacéutica, que concentra el 67,5 % de las actividades de la empresa, se enfoca en las siguientes áreas terapéuticas: neurociencia, nefrología e inmunología, oncohematología, enfermedades infecciosas y medicina digital.

“Desde Otsuka seguiremos apostando por atraer talento tanto en España como en Portugal, algo prioritario para los proyectos de futuro que tiene la compañía”, ha asegurado José Manuel Rigueiro.

PHARMAMAR

Plan de Sostenibilidad 2024-2026

PharmaMar avanza en la implementación de su Plan de Sostenibilidad 2024-2026, con el n de innovar, crecer y crear valor a largo plazo, alineándose con los Objetivos de Desarrollo Sostenible (ODS) de las Naciones Unidas. Este Plan de Sostenibilidad da continuidad al anterior -vigente entre 2021 y 2023 y que logró un cumplimiento del 90,4 % de los objetivos-, y se basa en tres pilares fundamentales: Ambiental, Social y Gobierno (ESG).

Reducir el impacto ambiental

Dentro del pilar ambiental, PharmaMar se enfoca en fomentar el uso de materiales reciclables, eliminando los plásticos en los kits de productos y sustituyendo los prospectos de papel por códigos QR. Se promueve la reutilización de envases de laboratorio y el uso de disolventes verdes o biodegradables en los procesos químicos, reduciendo así la generación de residuos y la huella ambiental. Además, la compañía también está reduciendo las emisiones de CO2 en sus operaciones mediante la optimización del consumo energético y el fomento del autoconsumo mediante la instalación de paneles solares fotovoltaicos, entre otras acciones.

MERCK

anuncia cambios en su equipo directivo de Healthcare en España y apuesta por el talento interno

Merck ha anunciado cambios en su equipo de dirección del negocio de Healthcare en España.

Macarena López, hasta ahora directora de Launch Excellence y Regional Access, asume el liderazgo de la unidad de Oncología de Merck en España. Cuenta con 20 años de experiencia en la industria y ha formado parte de compañías como Lilly y Bristol Myers Squibb (BMS).

Gonzalo Rodriguez Rojo, actual director de la unidad de Medicina Clínica y Endocrinología (CM&E), añade a sus responsabilidades el liderazgo de Launch Excellence y Regional Access y deja su posición al frente de Business Operations. Maite Ortega, manager de Supply Network Operations (SNO) Market Operations, asume la dirección de SNO en España y entra a formar parte como nueva incorporación al equipo directivo de Healthcare en España.

Rafael Prieto Bermejo, quien ocupaba la dirección de Supply Network Operations (SNO) en

España, ha sido nombrado director global de Customer Ful llment Excellence. En su nuevo rol, será responsable de optimizar los procesos y herramientas de Customer Ful llment a nivel global, manteniendo su liderazgo en proyectos de sostenibilidad en España.

Visita del presidente de la Generalitat de Cataluña al site de Merck en Mollet del Vallès Con motivo de la reciente celebración de sus 100 años en España, Merck ha recibido al presidente de la Generalitat de Cataluña, Salvador Illa, en las instalaciones de su site de Mollet del Vallès, que en 2024 han cumplido también su 50º aniversario. Esta visita institucional subraya la relevancia del site, que cuenta con una planta farmacéutica y química.

El presidente, junto a la consejera de Investigación y Universidades, Núria Montserrat Pulido, y la alcaldesa de Mollet del Vallès, Mireia Dionisio, ha realizado un recorrido por la planta farmacéutica. Durante la visita, han estado acompañados por el presidente de Merck en España, Manuel Zafra, la directora de la planta farmacéutica del site, Amelia Muñoz, el director de la planta química, Ramón Ribas, y la Executive Vice President y Head of Global Healthcare Operations de Merck Group, Teresa Rodó.

Ramón Ribas, Mireia Dionisio, Manuel Zafra, Salvador Illa, Núria Montserrat Pulido, Teresa Rodó y Amelia Muñoz.
Macarena López. Gonzalo Rodríguez. Maite Ortega. Rafael Prieto.

Ven y encuentra todo lo necesario para que tu farmacia siga creciendo.

Asiste a las ponencias y mesas redondas de la mano de los mayores referentes del sector. +100 PONENTES +300 EXPOSITORES www.infarma.es

El sistema inmune en la infancia

El sistema inmune es el encargado de luchar contra todos los patógenos o agentes desconocidos que entran en nuestro organismo susceptibles de producir una infección.

Graduada en Farmacia en universidad Alfonso X el Sabio. Audióloga.

Las células principales de este sistema son los glóbulos blancos, que se van a dividir en linfocitos y fagocitos. Los linfocitos van a ser aquellos que recuerden al patógeno y los fagocitos, los que se encarguen de atacarlo. Dentro del grupo de linfocitos, también se encuentran los linfocitos T, los linfocitos

B y las Natural Killer

El sistema inmune infantil no actúa de la misma manera que el de los adultos. El de los niños se va a desarrollar en sus tres primeros años de vida, por lo que esta etapa es muy importante.

Características del sistema inmune infantil

Debido a la inmadurez del sistema inmune de los niños, la Asociación Española de Pedriatría

de Atención Primaria, en concreto el grupo de Patología Infecciosa, nos dice que, hasta los 10 años, los niños tendrán una media de 6 a 8 infecciones respiratorias por año y 2 gastroenteritis en los primeros 3 años de vida. La inmadurez del sistema inmune se da en los dos tipos de sistema, en el adaptativo y en el innato.

• El sistema innato: va a existir una inmadurez bioquímica y física. La reserva de neutrólos va a ser baja en neonatos y lactantes, comparada con la del adulto. La fagocitosis también estará disminuida y la acción de las Natural Killer será entre un 15 y un 60 % menor que en los adultos.

• El sistema adaptativo: al igual que el innato, se encuentra en un estado de inmadurez. El número de linfocitos, cuando el bebé nace, es elevado y sigue aumentando en sus primeras 12 horas de vida. Durante la primera semana, esta cantidad de linfocitos irá disminuyendo y se mantendrá estable a lo largo del primer año de vida, siendo este número el 60-70 % del total de los leucocitos hasta los 2 años. A partir de esta edad y hasta los 10 años, la cifra irá descendiendo hasta alcanzar los niveles de un adulto.

¿Por qué el sistema inmune del bebé es inmaduro al nacer?

El sistema inmune va a estar en ``modo silencio´´ cuando nace el bebé. Se cree que ocurre de esta manera para evitar que, mientras el bebé está en el útero, su sistema inmune pueda atacar a los antígenos que no comparte con su madre. Una vez que nace el bebé, también es necesario este ``modo silencio´´ para evitar una respuesta inmediata y desmedida a todos los antígenos con los que va a entrar en contacto a través del medio. Por eso, como decía antes, las células del sistema inmune irán aumentando desde el momento del nacimiento.

¿Cómo podemos fortalecer el sistema inmune del bebé?

Aquí, vamos a hablar de la gran protagonista en cuanto al refuerzo del sistema inmune por parte de la madre y es la lactancia materna.

La lactancia materna va a ser crucial a la hora de contribuir al desarrollo del sistema inmunológico, ya que proporciona anticuerpos, ade-

Los niños tendrán una media de 6 a 8 infecciones respiratorias por año y 2 gastroenteritis en los primeros 3 años de vida.”

más de otros componentes que protegen al bebé de las infecciones.

Como ya sabemos, la única fuente de alimentación del bebé durante los primeros meses de vida es la leche. En este caso, vamos a centrarnos en la leche materna, que es la que nos va a pasar células y componentes de la microbiota intestinal de la madre que se van a adaptar al propio bebé.

También es rica en oligosacáridos y prebióticos que sirven de alimento a la microbiota, estimulando su crecimiento.

Cuando el bebé tenga 6 meses y comience con la alimentación complementaria, debemos añadir alimentos que contengan nutrientes que contribuyan al fortalecimiento del sistema inmune.

Estos nutrientes son:

• Hierro: contribuye al correcto desarrollo cognitivo del bebé

• Zinc: participa en la creación de enzimas y en la renovación celular

• Vitaminas C, D y A y B9: todas ellas tienen una función importante en el desarrollo de las células que forman el sistema inmune. fv

Body Oil - Mamá y Bebé

Carelia (Carelia)

Gama Natukind Gummies

Kneipp (Kneipp GmbH )

Kneipp, la marca de cuidado holística basada en el poder de las plantas medicinales, presenta su nueva variedad de gummies Naturkind, enfocadas especí camente en el cuidado de los más pequeños de la casa. Esta nueva gama está compuesta por:

Naturkind gummies sueño (contribuye a mejorar la calidad del sueño), Naturkind gummies multivitaminas (para contribuir al desarrollo y proporcionar vitalidad), Naturking gummies inmunidad (para potenciar las defensas del organismo) y Naturkind gummies concentración (favorecen el rendimiento de la memoria y la concentración).

Presentación: botes con 30 gummies.

Aceite corporal seco, ligero,100% natural elaborado con una cuidadosa selección de aceites botánicos de alta calidad prensados en frío. La sinergia de sus aceites de jojoba, aguacate, arroz y girasol en una fórmula rica en vitamina E, ácidos grasos y sales minerales por su poder reparador y calmante, nutren y estimulan la elasticidad epidérmica ayudando contra las estrías, la piel seca y las cicatrices. Seguro y suave, resulta el masaje perfecto para mimar a los más peques proporcionándoles confort y una intensa hidratación, para una piel exible y saludable protegida de las irritaciones y la dermatitis.

Toallitas Íntimas Pediatrics

Cumlaude Lab (Dermofarm)

Toallitas hipoalergénicas para limpiar y refrescar la zona íntima de niñas y preadolescentes. Formuladas con extractos vegetales de Caléndula, Malva y Tila para un efecto calmante y refrescante. Limpian, hidratan y protegen su zona íntima, con un tamaño ideal para llevar en la mochila o en el bolso. Indicadas para pH siológico vulvar. Adecuadas para situaciones en las que no se disponga de agua para una limpieza tradicional (tras actividades deportivas, juegos al aire libre o durante viajes). Testadas pediátrica y ginecológicamente: garantizando seguridad y e cacia. Presentación paquetes de 15 toallitas. preadoles

Wonder Patch Parche Alisante Frente y Ceño

Talika (Talika)

Crema Facial de Repollo

Green Cornernss (Green Cornernss)

El primer parche para la frente y el ceño con superpoderes antiedad, reafirmantes e hidratantes. Parche de biocelulosa pura que reafirma e hidrata para proporcionar un aspecto rejuvenecido. Proporciona una acción especí ca sobre las líneas nas y las arrugas de la zona. Con su tecnología de biocelulosa aumenta la e cacia y potencia la penetración profunda de los principios activos. Bene cios: Reduce la aparición de líneas nas y arrugas. Hidrata en profundidad. Alisa las líneas de expresión y las arrugas. Rea rma la piel. Usar 1 o 2 veces a la semana sobre la piel limpia. Parche de un solo uso.

Crema hidratante facial, apta para pieles sensibles y con tendencia atópica, que va a hidratar en profundidad la piel delicada de bebés, niños y adultos a la vez que la calma y repara. Fórmula mejorada, ahora con prebióticos, que reequilibran la´ microbiota cutánea y refuerzan la función barrera de la piel, y pantenol, con propiedades hidratantes y reparadoras. Además, mantiene el extracto de repollo, que posee propiedades antioxidantes, calmantes y cicatrizantes. Contiene un 98% de ingredientes de origen natural y es apta para la hidratación diaria de toda la familia. Tiene una textura ligera de fácil absorción. reafir hidra

Skin-K Pause Cream

USU Cosmetics (USU Cosmetics)

Crema antiedad que corrige los signos de envejecimiento causados por los cambios hormonales en la piel del rostro, como sequedad, pérdida de densidad, rmeza, arrugas y luminosidad. Su activo patentado Feminage™ mejora la elasticidad, reduce la acidez y protege del estrés oxidativo. Por su parte, Skin Cooling System™, ayuda a regular los incrementos de temperatura en la capa más super cial de la piel, causantes del envejecimiento prematuro. Además, su rica textura deja una película hidratante luminosa que crea una piel elástica y radiante. La piel recupera su nutrición, densidad, rmeza, protección y confort.

Boost Eau de Soleil

Lotion Teintée Hydratante

Vitry (Vitry)

Eau de Soleil es una loción hidratante con color que se puede utilizar durante todo el año: proporciona una tez bronceada en pocos minutos. Su tono universal, sin autobronceador, garantiza un resplandor saludable instantáneo para todos los tonos de piel. Su fórmula vegana con extracto de café le proporciona un bronceado natural e intransferible sin exponerle al sol. Contiene ácido hialurónico para hidratar la piel. Formulada con un 94,85% de ingredientes de origen natural, el agua solar mezcla delicadas notas golosas de fragancia de coco. Aplicar sobre el rostro y el cuerpo, con las yemas de los dedos o un disco de algodón.

Ampliación líneas Sedigola y Larituss

Principium (Bios Line)

La línea de productos de Sedigola y Larituss ofrece 5 nuevas soluciones naturales para el cuidado integral de las vías respiratorias y la garganta: Larituss Vías Respiratorias y Garganta, Sedigola Activ Pastillas Menta Fresca y Spray, Sedigola Perlas Masticables y Sedigola Pastillas para la Garganta Miel y Eucalipto, Miel y Limón. La clave recae en ingredientes naturales como el propóleo y las semillas de pomelo, que cuentan con una acción sinérgica avalada cientí camente, o formulaciones con clavo de olor titulado en beta-cario leno; y en ofrecer diferentes presentaciones y formatos para satisfacer todas las necesidades, como un gel sin azúcar, spray con acción localizada o perlas masticables.

Gotas concentradas Radiance

Total Effects

Soivre Cosmetics (VCS Farma)

Nuevo tratamiento antiedad con retinol. Las Gotas concentradas Radiance Total Effects rea rman la piel, reducen arrugas, líneas de expresión, manchas e imperfecciones. Además, uni can el tono, iluminan el rostro y mejoran el fotodaño. Formuladas con un 0,3 % de retinol, un 4 % de niacinamida, péptidos y ceramidas, la combinación perfecta para potenciar la acción del retinol. Su textura es ligera y no deja sensación grasa, se absorben con facilidad.

Isdinceutics Salicylic Renewal

Isdin (Isdin)

Un sérum corrector facial de doble acción: antiimperfecciones y antiedad indicado para pieles mixtas o grasas. Esta novedad con alta e cacia clínica y resultados visibles en poco tiempo viene a ampliar el portfolio de ISDIN de productos exfoliantes. Formulado con un 12% Acid Renewal Complex, una mezcla única de ingredientes renovadores de la piel que incluyen ácido salicílico y glicólico; e ingredientes antienvejecimiento como ácido hialurónico y ceratonia siliqua, Salicylic Renewal ha demostrado una reducción de imperfecciones en tan solo 2 semanas, mejorando de forma exponencial a las 4 semanas.

NDL Pro-Health Whey

Protein Isolate

Cantabria Labs (Cantabria Labs)

Esta innovadora línea de suplementos proteicos, que cumple con los más estrictos criterios de calidad y está avalada cientí camente, está compuesta por proteínas de alta calidad que ayudan a la reparación y al apoyo del crecimiento de los tejidos musculares. Con un completo valor nutricional, estos suplementos garantizan una composición alta en proteínas y baja en carbohidratos y grasas, además de una textura cremosa y un sabor inigualable, tanto en su versión con sabor a fresa (Whey Protein Isolate Strawberry Sensation), como en la

DermoPure Crema Corporal

Eucerin ® (Beiersdorf )

Un tratamiento formulado científicamente para abordar las características específicas del acné en el cuerpo. Este innovador producto, no solo trata las lesiones activas, sino que también se enfoca en la hiperpigmentación post-inflamatoria, co múnmente conocida como manchas postacné, ofreciendo una solución integral para mejorar tanto la apa riencia, como la salud de la piel. Resultados visibles en solo dos semanas de uso. Especialmente indicado para zonas del cuerpo como la espalda y el pecho, donde el acné corporal, comúnmente conocido como “bacné”, suele ser más persistente.

de chocolate (Whey Protein Isolate Chocolate Fusion) y en la de vainilla (Whey Protein Isolate Vanilla Bliss).

Eyebrow Liposourcils

Ink

Talika (Talika)

El maquillaje con tratamiento más completo para las cejas: en pocos segundos, las tiñe y las redibuja (maquillaje). En 2 semanas, las densi ca y estimula su pigmentación natural (cuidado). Este marcador con punta biselada es preciso y fácil de usar y dura todo el día. Disponible en dos tonos: marrón y castaño. En su fórmula: el Complejo Mítico Vegetal de Talika (hamamelis, manzana, ortiga, castaño de indias,

hipérico que estimula el crecimiento de las cejas). Coleus forskohlii (estimula la síntesis de melanina de la ceja para intensificar su pigmentación natural). Peptido Expert (mejora la calidad del bulbo de la ceja para fortalecer su anclaje y frenar su caída. Efecto antiedad). Proteínas de seda (recubren y protegen la ceja).

Delineador

Nuxuriance Ultra Alfa [3R]

Nuxe (Nuxe)

Soivre Cosmetics

VCS Farma)

Delineador líquido negro intenso, con pigmento de alta intensidad y con extremo fino y flexible, una punta de alta precisión, que se desliza perfectamente creando una línea bien definida. Permite crear multitud de estilos de maquillaje con facilidad. Proporciona un secado rápido y una larga duración, de hasta 12 h. Además su fórmula es waterproof, lo que lo hace resistente al agua, el sudor o las lágrimas. Oftalmológicamente testado. Se recomienda guardar bien tapado y con la punta hacia abajo.

Combinando ALFA [3R] Technology y la Niacinamida, esta fórmula ofrece una acción non-stop: corrección durante el día y renovación durante la noche, para cuidar la piel las 24 h del día. Su precioso tarro de acabado verde esmeralda y dorado contiene un generoso formato de luxe de 75 ml para un uso mañana y noche. La textura ultra-sensorial del Tratamiento Excepcional es ligera y uida para dejar un acabado satinado ideal durante el día, al tiempo que es su cientemente envolvente y rica para proporcionar confort por la noche. Está indicada para todo tipo de pieles. Su fragancia moderna y so sticada la hace aún más preciosa.

Crema de Manos protectora Antiedad

Days of Con dence (Days of Con dence)

La primera crema de manos pensada para la peri(menopausia) y la menopausia, un periodo durante el cual la piel absorbe menos nutrientes, y los procesos naturales de hidratación de la piel, la producción de colágeno y elastina se reduce. Su textura rica y nutritiva 100% natural, incluye un 80% de ingredientes orgánicos y se absorbe rápidamente en la piel. Además, posee un agradable aroma con notas de salida muy frescas de cítricos y hierba cortada combinadas con delicadas notas medias aromáticas y orales, y notas de fondo más profundas y ligeramente amaderadas. Su acción consigue: Proteger la matriz extracelular. Limitar la producción de melanina. Fortalecer la rmeza y la elasticidad. Calmar la piel.

FlogoActive Articulaciones

Chiesi (Chiesi )

Este nuevo complemento alimenticio está dirigido a personas adultas y está pensado para apoyar la salud y el movimiento del sistema musculoesquelético. El producto puede proporcionar un triple bene cio al favorecer el confort articular, ayudar a las molestias musculares y articulares y reforzar los huesos. Se presenta en un formato de sobre de rápida disolución y sabor a mandarina. El producto contiene ingredientes presentes de forma natural y siológica en las articulaciones como glucosamina, condroitina y ácido hialurónico. También, cuenta con varios ingredientes que contribuyen a la salud ósea como las vitaminas K y D; el magnesio, que además

Deligyn Higiene Íntima

Cumlaude Lab (Dermofarm)

Específicamente formulada para la higiene diaria en periodos de mayor hipersensibilidad, como la etapa climatérica, en la cual se puede presentar con mayor frecuencia prurito, enrojecimiento o escozor y/o menopausia. La fórmula está diseñada para respetar el pH de la piel (pH 6,8), así como las mucosas sensibles en estas etapas. Además del postbiótico, contiene un complejo vegetal formado por un extracto de malvavisco y de árnica, con propiedades reequilibrantes y calmantes contra el prurito. Presentación, botella de 500 ml. agra sa

contribuye al funcionamiento muscular fisiológico; el manganeso, que participa en la formación normal del tejido conectivo como los tendones y la vitamina C que contribuye a la formación normal de colágeno.

Reparadores Labiales con Color

Isdin (Isdin)

Innovadora gama de Reparadores Labiales con Color, diseñada para hidratar, proteger y reparar los labios mientras les aporta un sutil y so sticado toque de color natural. Disponible en 3 tonos: granate, rosa y rojo, combinan a la perfección cuidado y belleza en un solo producto. Gracias a su fórmula avanzada con ácido hialurónico como ingrediente principal, ofrecen una hidratación intensa durante 24 horas, reparan los labios dañados y calman la irritación, incluso en las pieles más delicadas. Además, su composición los protege frente a agresiones externas como la contaminación o el clima extremo, todo ello añadiendo un acabado de color que realza la naturalidad de los labios.

Hyaluron-Filler Epigenetic Serum

Premium Sérum Absoluto

Lierac (Laboratoire Native)

Eucerin ® (Beiersdorf )

Una innovación revolucionaria en el rejuvenecimiento de la piel de la mano de la ciencia de la Epigenética. Un producto pionero que logra reactivar los genes de la juventud y modi car la forma en la que estos se expresan. Consigue revertir 10 signos del envejecimiento de la piel, todos ellos demostrados a través de sus estudios cientí cos. Destaca su gran eficacia antiarrugas: hasta un -78% de reducción en el volumen de las arrugas y la rapidez del tratamiento, con una apariencia más joven en 4 semanas. Además de Epicelline ®, completa su fórmula única con Ácido Hialurónico de alto y bajo peso molecular, Glicina Saponina y Enoxolona, garantizando resultados visibles para revertir los principales signos del envejecimiento.

96 % de ingredientes de origen natural. Con su doble textura extraordinaria, obtenida gracias a la tecnología micro uídica, el Sérum Absoluto y sus 7.300 microperlas fusionan el frescor del agua con el confort del aceite. En el corazón de su fórmula con poderes antiedad absoluto, la tecnología [F.G.N.] que actúa sobre las tres proteínas mensajeras clave de la juventud celular. Los laboratorios de formulación han seleccionado igualmente la papaína, una enzima procedente de la papaya, para a nar la textura de la piel y sublimar la luminosidad cutánea. Y nalmente, la niacinamida para prevenir y corregir las manchas pigmentarias. Este sérum tan envolvente como evanescente es ideal para cualquier tipo de piel, incluso sensible.

NDL Pro-Health Elite

Creatine

Cantabria Labs (Cantabria Labs)

Este nuevo complemento alimenticio llega para ayudar a mejorar el rendimiento físico en series sucesivas de ejercicios de alta intensidad, lo que, sin una buena preparación y recuperación posterior, puede provocar distensiones musculares y hasta roturas. Con la experiencia deportiva de Rafa Nadal y el amplio saber en cuanto a nutracéuticos de Cantabria Labs como garantía, cuenta con Creatina Monohidrato Creapure ®, que avala la pureza y la calidad del producto para todos aquellos que quieran aumentar los niveles de esta fuente de energía esencial. La creatina monohidrato es la forma más eficaz de cuantas se pueden encontrar en el mercado.

Probactis DAOmed®

Biotical (Biotical Health)

El nuevo Probactis DAOmed ® proporciona la enzima DAO necesaria para mejorar la capacidad del organismo de descomponer la histamina de manera e ciente, reduciendo los síntomas asociados al décit de DAO e intolerancia a la histamina. Basado en evidencia cientí ca y clínica con los más altos requisitos de calidad en nutrición médica.

Probactis DAOmed®, de venta en farmacias y online, contiene 60 mini-comprimidos gastrorresistentes.

Tiene una posología sencilla y de alta aceptación (1 mini-comprimido antes de las comidas, mínimo durante 20 días). Apta para adultos y niños a partir de 3 años.

Tinted Lip Oil

MIA Cosmetics Paris (MIA Cosmetics Paris)

Su textura envuelve los labios con una película cremosa y exible con un delicado tono de color. Su fórmula está enriquecida con aceites emolientes que nutren y dan brillo a los labios.

Contiene: Aceite de jojoba (con acción calmante y regeneradora. Ayuda a reparar labios agrietados o dañados gracias a su contenido de vitamina E), Aceite de avellana (hidrata los labios sin dejarlos grasos), Aceite de aguacate (tiene un efecto emoliente, que aporta suavidad y elasticidad), Aceite de argán (previene la pérdida de rmeza y favorece la suavidad en los labios), Mentol (proporciona una sensación de frescura inmediata, calmando los labios irritados).

Cuidado Reparador Pro’Diamant

Vitry (Vitry)

El polvo de diamante, conocido por su dureza y resistencia, es el ingrediente clave de PRO’DIAMANT Cuidado Reparador.

Además de sus propiedades fortalecedoras, aporta a las uñas un brillo incomparable y un lustre natural. Las uñas son más fuertes, más resistentes y visiblemente más bonitas. En su fórmula encontramos: polvo de diamante que proporciona a las uñas un brillo incomparable y un lustre natural desde el primer uso. Silicio que refuerza la estructura de las uñas aportándoles hidratación y elasticidad. Y un Plasti cante patentado que proporciona adherencia, brillo y dureza. Presentación bote 10 ml.

Shots MartiDerm

MartiDerm (MartiDerm)

En el día a día, la piel se enfrenta a múltiples desafíos que requieren soluciones especí cas y efectivas. Por ello, MartiDerm recuerda su innovadora gama Shots, con fórmulas de alta concentración y resultados visibles, pensados para quienes buscan una rutina de cuidado avanzada y personalizable. Entre ellos, Hyaluronic Firm, un sérum concentrado que aporta hidratación intensa y duradera y un efecto reafirmante a la piel, y Retinol Renew , un bálsamo fundante ideal para la renovación cutánea y la reducción de los signos de envejecimiento.

RADIANCE Intense De nition

Soivre Cosmetics (VCS Farma)

Una línea formulada para combatir la pérdida de rmeza y de elasticidad de la piel. Está formulada con Colágeno, Retinol, complejo liposomado Ameliox (a base de Carnosina, extracto de Cardo Mariano y Vitamina E), Ácido Hialurónico puro, Células madre vegetales, Extracto de regaliz y Vitamina E. Una combinación de activos que combate las arrugas, aporta rmeza, uni ca el tono y mejora la textura de la piel. También posee propiedades despigmentantes y antiglicación. Gama: crema facial 50 ml, contorno de ojos 30 ml, sérum facial 30 ml, gotas concentradas 15 ml.

Podium Global Media inicia en 2020 su plani cación y adaptación de los Objetivos de Desarrollo Sostenible. Por ello, queremos compartir los avances y logros obtenidos y fomentar la implantación de estos ODS a nuestros clientes y proveedores para alcanzar los objetivos de la Agenda 2030.

farmaventas

salud

Para más información: www.podiumgm.com

SUSCRÍBETE A NUESTRA NEWSLETTER Y NO TE PIERDAS NINGUNA NOVEDAD

@revista.farmaventas

/revistafarmaventas

LOS ARTÍCULOS PUBLICADOS EN “FARMAVENTAS” EXPRESAN ÚNICAMENTE LA OPINIÓN DE SUS FIRMANTES. PROHIBIDA LA REPRODUCCIÓN TOTAL O PARCIAL DEL CONTENIDO DE ESTA REVISTA SIN PREVIA AUTORIZACIÓN. ENERO-FEBRERO 2025

SOPORTE LEGAL

ISSN 1699-616X DEP. LEG.: B-19467-05 ISSN DIGITAL 2014-394X

EMPRESA EDITORIAL

Podium Global Media, S.L.

Pau Claris, 138 · 1º 3ª

Tel.: 93 434 21 21 08009 Barcelona (España) E-mail: podium@podiumgm.com www.podiumgm.com

COORDINADORA EDITORIAL

Ada Bergillos - adabergillos@podiumgm.com

COLABORADORES

Irene Diego, Fran Diéguez, Laura Estévez, Cristina Fente, Paola Fernández del Pino, Luis de la Fuente, María José Menéndez, Ma. Montserrat Muñoz, Ignacio Migoya, Francisco Sánchez, Jorkine Teijera, Verena Valero, Juan Villuendas

CONSEJERA DE REDACCIÓN

Maica García - mgarcia@podiumgm.com

DIRECTORA ARTE

Lorena Torres - ltorres@podiumgm.com

DIRECTOR TÉCNICO DE EDICIÓN

Daniel Pérez - dperez@podiumgm.com

DISEÑO Y MAQUETACIÓN

Òscar Julian - ojulian@podiumgm.com

Daniel Pérez - dperez@podiumgm.com

PUBLICIDAD

Marc Florensa - m orensa@podiumgm.com

Tel.: 657 56 92 78

ENVÍOS Y SUSCRIPCIONES

Elena Moreno - emoreno@podiumgm.com

Tel.: 667 49 63 24

ADMINISTRACIÓN

Núria Padrós - nuriap@podiumgm.com

www.farmaventas.es

Responsable Digital: Marc Florensa - m orensa@podiumgm.com

Turn static files into dynamic content formats.

Create a flipbook
Issuu converts static files into: digital portfolios, online yearbooks, online catalogs, digital photo albums and more. Sign up and create your flipbook.