Revija Misteriji 356 - marec 2023

Page 1

ODVEČNO PULJENJE ZOB

Zaradi sodobne otroške hrane zrastejo večji sinusi in izrazitejše ličnice

Ljudje ne jemo prsti

Kaj vse je v pitni vodi in kako nam to škoduje (1)

Moč psihičnih vampirjev

Dolgotrajni napadi psihičnih vampirjev imajo lahko uničujoče posledice (1)

Spolnost vpliva na duševnost

Nedoživljanje popolnega orgazma privede do osebnostnih motenj

Pustite si najti ljubezen

Združila je več kot tri tisoč petsto parov

ISSN 1318-1777

Letnik 30 - ŠT. 356 - MAREC 2023 - 5,90€
POZOR! BRANJE TE REVIJE LAHKO VPLIVA NA VAŠE ŽIVLJENJE
- MAREC 2023 - Misteriji 3
Nedoživljanje
osebnostnih motenj 39
vesolju
sami« Neznani leteči predmeti se z obrobne selijo
osrednjo znanost (2) 27
Združila
tisoč
31 Zdravljenje
Vsak človek je glasbeni inštrument, ki niha v razponu kozmičnih vibracij Pisma bralcev 4 Zanimivosti 6 Razbiranje akašnih zapisov 21 Tana 25 Orbi ob žerjavici 26 Brez Tesle bi bili v temi 29 Zeolit razstruplja in pomlajuje 35 Najlepši med zalimi ptiči 36 Kaj nam povedo števila? 37 Kaj Rusi jedo od nekdaj? 41 Pokojni se pogovarja z ženo 43 Kako izdelati morilski virus? 45 Post ji je očistil telo in dušo 47 Nenavadna doživetja 49 Nove knjige 50 Horoskop za marec 2023 51 Zakaj pa ne bi shujšali? 52 Nagradna križanka (337) 54
Misteriji
LETNIK
30 - ŠT. 356 marec 2023
17 Ljudje ne jemo prsti Kaj vse je v pitni vodi in kako nam to škoduje (1) 19 Moč psihičnih vampirjev Dolgotrajni napadi psihičnih vampirjev imajo lahko uničujoče posledice (1) 23 Spolnost vpliva na duševnost
popolnega orgazma privede do
V
»nismo
v
Pustite si najti ljubezen
je več kot tri
petsto parov
z zvokom

Misteriji

www.misteriji.si

Naslov uredništva: Revija Misteriji, Cigaletova 5, 1000 Ljubljana Tel.: 01/231 93 60 info@misteriji.si

Izdaja: ARA založba d.o.o., Cigaletova 5, Ljubljana

Odgovorni urednik: Jože Vetrovec joze@misteriji.si

Likovni in tehnični urednik: Janko Blagojević, janko@ararevija.si

Redaktor: Andrej Kikelj andrej@misteriji.si

Tajništvo, naročnine in oglasno trženje: Sanela Ajkić Tel.: 01/231 93 60; 031/662 092 sanela@misteriji.si

Prodaja po pošti: Tel.: 01/549 17 92; 051/307 777 info@misteriji.si

Tisk: SCHWARZ PRINT d.o.o., Ljubljana

Naklada: 6100 izvodov

V tej številki Misterijev so sodelovali: Jože Vetrovec, Aleksej Metelko, Amedeja Ličen, Tatjana Svete, Irena Petrič, Miran Komel, Andreja Paljevec, Boris Kozinc, Georgij Manajev, Stane Padežnik

Naslovnica foto Nataša Čampelj

Simbol, natisnjen na naslovnici v desnem vogalu zgoraj, je zaščiten na Patentnem uradu RS.

Distribucija: EKDIS d.o.o., Vevška cesta 52, 1260 Ljubljana-Polje

Cena izvoda v maloprodaji: 5,90 €

Letna naročnina s popustom: 65,00 €

Polletna naročnina s popustom: 33,00 €

Poslovni račun: 02083-0011412222

MAGIČNA KROGLA

Prosim, če ima še kdo kristalno Magično kroglo in bi jo želel prodati, naj me pokliče na 031/296 001. Vnaprej hvala, Marjeta.

»VARNOSTNIK«

Moja prijateljica nosi kot obesek ploščico Polarix disk S; pravi, da zato, da jo ščiti pred vsemi mogočimi sevanji, ki nas obdajajo. Pravi ji kar »moj varnostnik«. Za zmanjševanje bolečin in boljše spanje, pa za zalivanje rož, pa … pa ima malo večji Polarix. Mene zanima »varnostnik«.

Lep pozdrav iz Mozirja, Breda

Okoli nas je na tisoče in tisoče frekvenc, ki jih ne zaznavamo. Lahko pa zmedejo človeško telo, kar povzroči

NAGRADE ZA NOVE NAROČNIKE

Izmed novih naročnikov na revijo Misteriji bomo tudi ta mesec izžrebali srečneža, ki bo dobil za nagrado mali Polarix. Ta mesec nagrada pripada Jožetu Božičku iz Senovega. Vsem novim naročnikom ta mesec podarjamo knjigo Kupujem zlato.

številne nejasne težave. Polarix, obešen okoli vratu, tako kot tudi drugi, večji Polarixi, zajame tudi vse mogoče frekvence (wifi, 4G, 5G, televizija …) in jih spreobrne v svoje zdravo naravno nihanje.

Da Polarix – ta »varnostnik«, pa tudi večji Polarixi, ki jih za zmanjševanje bolečin polagamo na boleča mesta – res deluje, se prepriča-

mo tako, da napolnimo dva kozarca z vodo. Pod enega damo za kakih pet minut Polarix in potem popijemo požirek iz enega in drugega kozarca. Okusimo, da je voda, ki je bila na polarizatorju, res mehkejša in prijetnejša v ustih.

Frekvenco Polarixa ljudje zaznavajo kot zelo sproščujočo in prijetno. Še posebej, kadar se Polarix S nosi

REVIJA MISTERIJI MI POMENI …

Na naši Facebook strani »Revija Misteriji« smo vprašali, kaj vam pomeni naša in vaša revija. Objavljamo nekaj odgovorov:

»Še nekaj revij je začelo na to temo, pa žal se niso obnesle. Kako sem bila vesela, ko mi je prijateljica, ki je prišla na otok, prinesla tri revije Misteriji. Ko grem zdaj v Slovenijo, jo zagotovo kupim.« (N. N.)

»Kak mesec jo kupim kar dvakrat in en izvod podarim prijateljem. Redno kupujem mojo edino revijo.« (Mitja)

»Enkratna revija. Pomeni mi veliko. Rada jo prebiram. Pomembna je za mojo osebno rast in drugačen pogled na svet in življenje.« (Majda)

»Zelo veliko mi pomeni; toliko, da jo kupim vsak mesec. Moja revija. Najboljša. Enkratna. Prileže se h kavici, popoldanskemu počitku in mojemu srčku.« (Zdenka)

»Zanimivo branje, ki ti lahko spremeni pogled na življenje.« (Tatjana)

založba d.o .o., Cigaletova 5, 1000 Ljubljana

založba d.o .o., Cigaletova 5, 1000 Ljubljana

4 - MAREC 2023 -

: 01/23-19-360, e-pošta: info@misteriji.si

: 01/23-19-360, e-pošta: info@misteriji.si

13:40 11:33
Ilustrirana mesečna revija na robu medicine in drugih znanosti
11:20
Pisma bralcev
1 2 3 4 5 6 7 8 9 10 11 12 13

misteriji, cigaletova 5, 1000 ljubljana; info@misteriji.si

NAGRADA ZA

ZVESTEGA NAROČNIKA

Za zvestobo reviji Misteriji je žreb tokrat naklonil umetniško miniaturo Renati Cordin iz Zapuž. Tudi v naslednjem mesecu bomo izmed naših zvestih naročnikov izžrebali enega, ki bo prejel miniaturno sliko, original v tempera tehniki slikarja Vlada Parežnika iz Mozirja.

Slika, ki jo bo prejel nagrajeni zvesti naročnik na Misterije.

na sončnem pletežu, se izkaže, da ima za mnoge zelo blagodejen učinek.

Da pa imate vedno pri roki dobro vodo, si lahko omislite Polarix steklenico.

Ugodnosti za naročnike Misterijev

Spletna trgovina Misteriji.si - Cena vsakega izdelka in knjige je za vas 10 % nižja.

BARBARA ČERNE CORELLI – Klasična (švedska) masaža, masaža z vročimi in hladnimi kamni, razstrupljanje in masaža z medom, zeliščna masaža, Access bars terapija, Bachova cvetna terapija. Na vse 10 % popusta. Kontakt: bcentermed@gmail.com

Hypnosis studio Alen: HIPNOTERAPIJA in doseganje zunajtelesnega stanja. Odpravljanje najrazličnejših težav; pogled v preteklost, sedanjost in prihodnost. www.hypnosisstudioalen.si; 070/208 890. Za naročnike Misterijev vse 10 % ceneje.

PREGLED ŽILJA z najsodobnejšo napravo in svetovanje za odpravo težav v Novem valu. Pregled lahko tudi podarite. In imate 10 % popusta. Novi val v Ljubljani: 01/320 77 56.

Hematološke, biokemijske in imunološke PREISKAVE KRVI, URINA IN BLATA v Ljubljani, Mariboru, Celju in Kopru – Adria lab, 01/436 67 71, laboratorij@adrialab.si. Naslovi odvzemnih mest: na Synlab.si. Popust: 10 % na preiskave, opravljene v Adria labu (popust ne velja na pakete).

BREDA, BIOENERGETIČARKA IN DIAGNOSTIČARKA med pregledom na daljavo, ki traja eno uro, pregleda celo telo, ugotavlja vzroke težav in jih odpravlja. Za vas velja 10 % popusta za prvi pregled in za zakupljene terapije. 041/714 677, dobnik.breda@gmail.com.

Nexus je svetovno znana revija. Objavlja novosti s področja mejnih znanosti, alternativne medicine in politike. Izhaja kar v trinajstih državah.

Vsaka dva meseca vam predstavljamo pregled nekaterih pomembnih informacij, ki jih osrednji mediji ignorirajo v prid čaščenju slavnih, poveličevanju vojne in sejanju strahu. Osrednji mediji ignorirajo ali celo zatirajo preboje v zdravstvu, odgovore na okoljske probleme in novice o osupljivih tehnologijah.

Naročila: Hrvaško izdajo Nexusa si lahko naročite na dom po telefonu 051/307 777 ali na spletni strani Misteriji.si. Letna naročnina je 42 € (6 številk).

DIAGNOSTIKA Z MINERALOGRAMOM – Ali vam manjkajo vitamini, minerali, aminokisline? Imate preveč strupov, težkih kovin, bakterij, parazitov …? Kateri so vaši najšibkejši organi? Izvid ima 37 strani, razlaga 35, nutricist pa vam vse pojasni in naredi načrt v uri in pol. Vi imate pri tem 10 % popusta. 041/328 218; klinika@futuristiclife.si.

BIOTERAPEVT ROBERT ZUPANČIČ – 10 % popusta za

1) Energijski pregled s slikanjem avre z GDV kamero,

2) Uravnovešanje čaker z elektroakupunkturo po dr. Vollu in 3) Quantec psihoenergijsko terapijo na daljavo. Info: Robertzupancic.si

Pisma bralcev
11:58
- MAREC 2023 - Misteriji 5
03:08 18:23 05:58 04:32 14 15 16 17 18 19 20 21 22 23 24 25 26 27 28 29 30 31
Aleš Homovec Breda Dobnik Robert Zupančič Alen Marič Barbara Černe Corelli

NAJSTAREJŠI DOKAZI ČLOVEKA

Raziskovalci so našli dokaze o obdelovanju orodij in uporabi ognja v jamah Wonderwerk v Afriki. Nič nenavadnega – če te človeške dejavnosti ne bi datirali na kar 1,8 milijona let nazaj! To postavi vse skupaj v čisto novo perspektivo, saj ti najstarejši doslej najdeni dokazi razkrivajo naše pomanjkljivo razumevanje človeške evolucije. S tem odkritjem so najstarejši dokazi človeške dejavnosti potisnjeni za kar 700.000 let nazaj. Ker so bile te ugotovitve objavljene v najbolj ugledni reviji Nature, so vzbudile veliko zanimanje v znanstveni skupnosti.

VASICA V »SKALI«

Setenil de las Bodegas

je majhna vas na jugu Španije, ki je zgrajena med samimi skalnatimi površinami. Vas je znana po svoji edinstveni arhitekturi, ki pričara videz, kot da ogromne skale drobijo domove domačinov in preplavljajo vse, kar je na vidiku. Nekatere hiše in trgovine so nastale v skalnatih votlinah, druge pa se dvigajo nad balvani. Obiskovalci lahko raziskujejo ozke, krivuljaste ulice, ki so obdane z hišami, bari in trgovinami, neposredno »vgrajenimi« v stene naravnega skalovja. Edinstvena lega vasi že več stoletij ščiti njene prebivalce pred soncem in vetrom, postala pa je tudi priljubljena destinacija za popotnike, ki iščejo posebno doživetje.

AMPUTIRALI ŽE PRED 4000 LETI

Arheologi so odkrili dokaze o najstarejši znani amputaciji, in sicer na otoku Borneo v Indoneziji. Ostanke moškega, ki je živel pred dobrimi štiri tisoč leti, so našli z zaceljeno golensko kostjo in drugimi znaki, ki jasno kažejo, da je bil

del njegove noge previdno in natančno odstranjen, torej je mož uspešno prestal starodavno amputacijo. »Morali so poglobljeno poznati človeško anatomijo, kako ustaviti pretok krvi, anestezijo in antiseptiko. Vse to je postalo norma šele pred kratkim,« pravi Maxime Aubert, profesor na Centru za družbene in kulturne raziskave univerze Griffith v Queenslandu. Odkritje je fascinantno in razkriva kirurške tehnike in medicinsko znanje starodavnih civilizacij.

LIK VELIKANA VZBUJA ZANIMANJE

Voddaljeni avstralski divjini so leta 1998 odkrili ogromno geoglifno obliko »človeka«, ki je dolga dobre štiri kilometre. Imenovali so ga »Marree človek«, njegov izvor in pomen pa še danes ni pojasnjen. Podoba še najbolj spominja na domorodca z bumerangom v levi roki. Nekateri menijo, da bi to lahko bilo delo kakšnega sodobnega umetnika, medtem ko drugi verjamejo, da ima izvor v duhovnem izročilu lokalne aboridžinske skupnosti. Satelitski posnetki kažejo, da je nastal med 27. majem in 12. junijem 1998, vendar kako, zakaj in kdo ga je ustvaril, pa še danes ni jasno.

6 - MAREC 2023 -
Zanimivosti
Foto splet Foto splet Foto splet Foto splet

Saj ni respa je!

ZANIMIVOSTI O KITAJSKI (2)

• Kitajska je največja ekonomija na svetu; je največji izvoznik in drugi največji uvoznik.

• Obsega pet časovnih pasov, ki so jih združili v enega.

• Praznovanje novega leta traja kar petnajst dni.

Med resničnostjo in domišljijo ŽENSKE IN KVOTE

Vnaši politični soseščini sta dami, ki treseta dobro podmazano globalistično mašinerijo, Italijanka Giorgia Meloni in Romunka Diana Iovanovici Șoșoacă.

Prva je mlada, sveže izvoljena italijanska premierka, ki jo je zahodna politika s pomočjo medijev stigmatizirala kot novo avtokratsko zavojevalko. Na zahodu nič novega – kdor bere med vrsticami, hitro spregleda njen glavni greh, ki je podpiranje temeljnih družinskih vrednot in odmik od mavrično transgenderskih idej, kar jo uvršča na seznam demokratičnih groženj ob bok Putinu in drugim »teroristom«.

Romunska senatorka Diana Iovanovici-Șoșoacă pa je v svojem gorečem govoru načela več občutljivih tem, o katerih (prodani) politiki ne govorijo. Opisala je načrt svetovnega genocida z ustvarjanjem pandemij in prisilno vakcinacijo s »poskusnimi cepivi«, katerih škodljivost prerašča v javno tajno.

• Ceno knjige pri njih določa teža, ne popularnost.

• Starejše od šestdeset let morajo otroci redno obiskovati in podpirati, sicer sledi kazen ali zapor.

• Kitajci so izumili kečap.

• Imajo dobro utečeno rehabilitacijo odvisnikov od interneta in mobilnih telefonov.

• Kitajski matematiki so prišli do konceptov, kot so decimalke, binarni sistem, geometrija, trigonometrija in algebra.

Pojasnila je, da je Turčija druga največja sila Nata. S tem, ko je prevzela vlogo mediatorja med Natom in Rusijo, je pokvarila globalistični načrt za neposreden vojaški spopad in posle-

dično rušenje ruskega političnega sistema. Na letošnji konferenci Svetovnega ekonomskega foruma v Davosu je Erdogan kljub prošnji strička Klausa protestno zapustil omizje, saj ni hotel pristati na vojno med Vzhodom in Zahodom ter na druge depopulacijske načrte zloglasnega elitnega združenja tehnokratskih psihopatov.

JE BIL POTRES KAZEN?

Če nisi v celoti naš, si njihov, in kazen je neizogibna. Turške tajne službe preiskujejo možnost napada tuje države z nekonvencionalnim seizmološkim orožjem, ki je že dolgo realnost, je potrdila Diana in omenila zanimive podrobnosti. Več držav je pet dni pred turško katastrofo izdalo opozorila svojim državljanom za potovanja v Turčijo. Deset držav je dan prej odpoklicalo svoje ambasadorje, deset sekund pred potresom pa so tam zaprli edini naftovod, ki je še povezoval Rusijo in Evropo.

Prvi potres ni imel epicentra, destabiliziral je tektonsko prelomnico in povzročil tisoče popotresnih sunkov. Tragedija je učinkovito preusmerila pozornost z mednarodnih operativcev v Ukrajini, ki se odkrito upirajo zelenaškemu avtoritarizmu.

V naši mlaki je naplavilo odločno Natašo, plešočo Urško, diplomatsko Tanjo in glasno Niko. Prva ve vse o Sloveniji in nič o delu svojega moža, druga živi v paralelnem vesolju ter tu in tam sestopi v naše, tretja in četrta pa sta zalepljeni na Svetovni ekonomski forum in njegov rep nevladnih organizacij. Ženska kvota je izpolnjena, globalisti potešeni, za Peco pa dremajoč čakamo, da bo brada kralja Matjaža devetič ovila mizo. Amedeja

- MAREC 2023 - Misteriji 7 Zanimivosti Foto splet
Foto splet Diana Iovanovici Șoșoacă Vse knjige, ki jih izdaja ARA založba, lahko kupite tudi v knjigarnah DZS po vsej Sloveniji.  01/23-19-360, e-pošta: info@misteriji.si založba d.o .o., Cigaletova 5, 1000 Ljubljana : 01/23-19-360, e-pošta: info@misteriji.si založba d.o .o., Cigaletova 5, 1000 Ljubljana

NAJBOLJŠA PREHRANA ZA RAKAVE BOLNIKE

Ameriški zdravnik dr. Michael Greger je na svoji spletni strani Nutritionfacts.org primerjal nekaj priljubljenih diet za rakave bolnike. Alkalna dieta – ki temelji na čim manjšem vnosu živalskih beljakovin, sladkorjev in predelane hrane, saj ta živila povzročajo zakisanost telesa – je dobila visoke ocene, ker je osredotočena na zelenjavo in spodbuja ljudi, da zmanjšajo količino živalskih živil.

Najslabše se je odrezala keto dieta, ki pa je dobila točke, ker ljudi odvrača od industrijsko predelanih žit, alkohola in brezalkoholnih pijač. Bistvo keto diete je izogibanje hrani, ki je bogata s sladkorjem in škrobom, uživa pa se hrana, ki je bogata z maščobami in beljakovinami.

Zmagala je makrobiotična dieta, saj je najbližje prehrani s polnovrednimi živili, ki temelji na rastlinah in je osredotočena na polnovredna žita, zelenjavo in fižol, čeprav morda ne svetuje dovolj sadja.

Paleo dieta, ki posnema pradavno prehrano naših prednikov, vsebuje premalo polnozrnatih izdelkov in fižola ter preveč mesa. Veganska dieta ne izključuje vseh vrst veganske nezdrave hrane.

Na enajstih bolnikih s pljučnim rakom so preizkusili alkalno dieto. Ti so v povprečju živeli še 28 mesecev in pol, kar je približno štirideset odstotkov dlje, kot je v preteklosti živela večina takih bolnikov, vendar ni bilo neposredne kontrolne skupine. Edina dieta, za katero je bilo v randomiziranem kontroliranem preskusu dokazano, da obrne napredovanje raka, pa je bil program prehranjevanja, ki temelji na polnovredni rastlinski hrani dr. Deana Ornisha. Njegovo dieto opisuje knjiga Življenjski slog, ki razveljavi bolezni (Misteriji.si; 24,90 €).

Raziskovalci so v povprečju devet let spremljali več kot šestdeset tisoč žensk z rakom dojk, starejših od 65 let, do takrat pa jih je polovica že umrla. A prvi vzrok smrti ni bil rak dojk, pač pa bolezni srca in ožilja. Prav prehrana dr. Ornisha pa je edina dokazana dieta, ki pri večini bolnikov odpravlja bolezni srca in ožilja in reši življenje – ne glede na to, ali ste zboleli za rakom ali ne.

Celodnevno se najlaže postimo na polno luno, 7. marca, in na mlaj, 21. marca, ter že dan prej in/ali še en dan pozneje. Kratke, a učinkovite predahe od hrane pa vam priporočamo na spodnje astrološke termine.

»Astrološki« prekinitveni post vam lahko pomaga shujšati, če pa želite doseči in ohraniti vitkost, vam pri tem pomaga oseminštirideset nasvetov za hujšanje zdravnika Vernona Colemana iz njegovega Priročnika za zdravo prehranjevanje (Misteriji.si; 24,90 €). Naštejmo nekatere od njih. Jejte le, ko ste lačni, in ne po urniku! Ustavite se, ko ste siti. Ko začutite lakoto in sežete po hrani, počakajte pet minut. Če po tem še vedno čutite lakoto, lahko jeste. Med jedjo se osredotočite na hranjenje, da boste začutili, kako se vaše telo »pogovarja« z vami in vas obvesti o tem, kdaj ste »siti«. Ne bojte se zavreči hrane, če si je ne želite. Ne jejte ostankov hrane samo zato, da ne bodo zavrženi. Če se morate udeležiti zajetnega kosila, pol ure prej nekaj pojejte. Prigrizek vam bo pokvaril apetit in počutili se boste siti, še preden boste naredili svojemu telesu preveliko škodo. Ne nagrajujte se s hrano. Če želite kaj proslaviti, si omislite šopek rož, zgoščenko ali knjigo.

1. marec: 2.08 do 3.41

3. marec: 15.24 do 16.17

6. marec: 4.20 do 4.40

7. marec: POLNA LUNA: ves dan

15. marec: 9.51 do 13.07

17. marec: 15.15 do 15.26 19. marec: 11.34 do 16.13 21. marec: MLAJ: ves dan

NAKUPI v živo

Knjige ARA Založbe in številne izdelke, ki jih ponujamo v naši spletni trgovini www.misteriji.si, lahko kupite tudi »v živo« – v klubskih prostorih revije

Misteriji na Zadobrovški 88, Ljubljana-Polje. Telefon za informacije je 041/677 089.

Munay nakupovalnica ima delovni čas:

Sreda – od 10. do 16. ure

Četrtek – od 10. do 18. ure

Petek – od 10. do 13. ure

8 - MAREC 2023Zanimivosti
KDAJ NAJ NE JEM – MAREC 2023
8.
marec:
marec: 15.08 do 15.45 11. marec: 0.38 do 1.07 13.
8.00 do 8.22
23.
25.–26.
28. marec:
12.23 30.–31. marec:
marec: 18.14 do 19.43
marec: 17.20 do 1.43
3.40 do
15.47 do 0.32
Nasveti dr. Michaela Gregerja (znanstveno preverjeni)

»NEKAJ ČUDNEGA V VESOLJU«

Znanstveniki Nase so nedavno razkrili, da so odkrili nekaj »čudnega«, kar se dogaja v našem vesolju. Vesoljski teleskop Hubble je dosegel nov mejnik v merjenju hitrosti, s katero se širi vesolje, in raziskave močno namigujejo, da se v našem vesolju dogaja nekaj nenavadnega. Verjetno obstaja še neidentificirana nova fizika, saj prečiščeni podatki odkrivajo znatno neusklajenost med dokazi iz zgodnjih faz velikega poka in trenutno stopnjo širitve vesolja. Znanstveniki menijo, da bo odkritje spremenilo naše razumevanje vesolja, kot ga poznamo.

SUMLJIVA KROGLA PADLA Z NEBA

Znani mehiški meteorolog Isidro Cano Luna je poročal o nenavadni kovinski krogli z vtisnjeno »skrivno kodo«, ki je padla z neba v Veracruzu v Mehiki, kar je sprožilo vihar ugibanj na družbenih omrežjih in v medijih. Cano je pozval mehiško mornarico, naj razišče skrivnostno kroglo, ki jo je opisal kot »zelo trdo plastiko ali zlitino različnih kovin, ki ima nekakšno

IGRA NARAVE

Vabimo bralce, da nam pošiljajo nenavadne fotografije, ko se narava poigra in izoblikuje zanimive stvaritve. Avtorji objavljene fotografije bodo prejeli knjižno nagrado. Fotografije z opisom pošljite na: andrej@misteriji.si.

anteno«. Očividci pravijo, da so videli sferični predmet, ki je »padal z neba« in povzročal hrup. Morda je šlo za del kitajske rakete, ki je tisti vikend strmoglavila na Zemljo, a to so le groba ugibanja. Kasneje je Cano zapisal, da predmet nima nobene luknje ali reže, skozi katero bi jo lahko odprli: »Te sfere imajo časovni mehanizem, da se ob določenem času same odprejo in razkrijejo dragocene informacije, ki jih nosijo,« in dodal, da »je krogla sestavljena iz sedmih zlitin in jo je ob 3.15 odstranila visoko specializirana ekipa ter nato poslala iz Mehike«.

DNO OCEANA TLAKOVANO Z OPEKO?

Pri Havajih so raziskovalci naleteli na predel dna oceana, ki je tlakovan z rumeno opeko – tako je vsaj videti to nenavadno odkritje na prvi pogled. Hitro so se pojavila vprašanja o izvoru teh »opek« in njihovem vplivu. Medtem ko raziskovalci ugibajo, da so morda vrsta vulkanskega kamna, ki ga povzročajo podvodne vulkanske aktivnosti, pa drugi menijo, da bi šlo lahko za kaj bolj »skrivnostnega«, morda celo za »zlato cesto do Atlantide«. Za natančno določitev narave tega pojava bodo seveda potrebne dodatne študije, ki so že v pripravi.

Na sprehodu v naravi sem naletel na prispodobo iz pravljic – kačo ... sika! Mitja

- MAREC 2023 - Misteriji 9 Zanimivosti
Foto splet Foto splet

ORGANSKA SNOV NA MARSU

Nasin rover Perseverance je prišel do pomembnega odkritja na Marsu – odkril je prisotnost organske snovi, kar so znanstveniki, ki delajo z roverjem, tudi potrdili. To odkritje meče novo luč na možno življenje na Marsu v preteklosti ali

O koronavirusu

Vitamin C proti covidu – V medicinski literaturi je že vrsto let bogato dokumentirano, da je vitamin C močno antivirusno sredstvo širokega spektra. Nobeno drugo sredstvo se ne more primerjati z močjo vitamina C pri zdravljenju akutnih virusnih okužb in zapletov, ki jih te povzročajo. Še nikoli ni bilo virusa, ki ga vitamin C ne bi bil sposoben deaktivirati v nobeni in vitro (v epruveti) študiji. Podobno je bilo dokumentirano, da klinično razreši vse akutne virusne sindrome pri bolnikih, ki prejmejo ustrezno odmerjene in pravilno dane odmerke vitamina C. Če obstaja virus, ki je »odporen« na agresivno terapijo v vitaminom C, ga je treba še odkriti. Kaže, da je covid (koronavirusna bolezen 19) enako občutljiv na vitamin C kot katerikoli virus, ki je prišel pred njim.

pa tudi v sedanjosti. Do nepričakovanega odkritja je prišlo, ko se je rover zataknil na površju in analiziral vzorce, ki jih je zbral. Rdeči planet je tako spet postal vroča tema, še posebej ob vseh razkritjih v zvezi z NLP-ji, ki se dogajajo v zadnjih letih.

NORTON JE POTOMEC POCAHONTAS

Igralec Edward Norton je s pomočjo rodoslovnih zapisov odkril, da je potomec Pocahontas, znane romantizirane indijanke iz sedemnajstega stoletja, ki so jo ugrabili angleški kolonizatorji. Zapisi sledijo Nortonovi liniji nazaj do poglavarjeve hčerke Pocahontas in angleškega kolonista Johna Rolfa – Norton je dvanajsti pravnuk Pocahontas. Znani igralec se že dolgo zanima za svojo družinsko zgodovino, a je bil nad odkritjem zelo presenečen: »To je zelo čuden občutek, ko imaš to novo povezavo z zgodovinsko osebo, ki sem jo vedno občudoval!« Razkritje je sprožilo zanimanje za Nortonov prihajajoči film, v katerem bo igral fiktivnega potomca Pocahontas.

Bralcu, ki se zmedeno sprašuje, zakaj se vitamina C ali katerekoli druge protivirusne učinkovine na splošno ne uporablja kot potencialno ali možno zdravilo kužnih obolenj, je treba razkriti nekaj dejstev: Zdravstveno varstvo je predvsem posel. Vsaka široko uporabljena učinkovina/terapija mora ustvarjati zajeten ali celo nepredstavljiv dohodek za farmacevtske družbe, bolnišnice in seveda zdravnike, sicer ne bo nikoli v uporabi ali bila deležna ustreznih raziskav.

V sinergiji z vodikovim peroksidom. Vitamin C, zlasti če ga dajemo skupaj z nebuliziranim vodikovim peroksidom (nebulizacija pomeni inhaliranje ali vdihavanje drobne meglice vodikovega peroksida), je še posebej koristna in sinergična terapija za covid in vse druge respiratorne viruse. Vodikov peroksid uničuje patogene, za seboj pusti le vodo in kisik, medtem ko vitamin C popravlja poškodovane celice, tkiva in oksidirane biomolekule ter odpravlja vsakršno nastalo pomanjkanje vitamina C.

Zato je zelo verjetno, da je prav povečano uživanje določenih prehranskih dopolnil, med njimi vitamina C in vodikovega peroksida – ki ju je zelo hitro po pričetku naglega širjenja virusa pričelo primanjkovati v trgovinah – povzročilo pomemben upad smrtnosti v tem obdobju v primerjavi s prejšnjim.

(Vir: dr. Thomas E. Levy, Hitro okrevanje po virusni okužbi, Misteriji.si)

ENCIKLOPEDIJA MISLI

V tej reviji boste na njenih straneh našli izbrane citate iz knjige Enciklopedija misli iz poglavja »Duh« – za mesečni duševni odmerek modrih, vzpodbudnih in pozitivnih misli.

(Knjiga v treh delih je na voljo na Misteriji.si)

10 - MAREC 2023Zanimivosti
Foto splet Foto splet

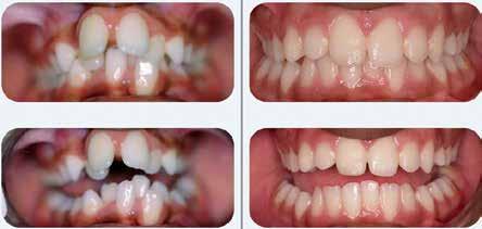
Zaradi sodobne otroške hrane zrastejo večji sinusi in izrazitejše ličnice

Odvečno puljenje zob

Zaradi dihanja skozi usta namesto skozi nos imamo mnogi krive zobe in čeljusti, deformirana usta, zakrnelost obraznih kosti … O tem je napisana zajetna knjiga Dihaj ameriškega raziskovalnega novinarja Jamesa Nestorja, ki nas prepričuje, naj bi večino časa dihali skozi nos. Temu pa močno pritrjuje tudi slovenski zobozdravnik Damir Škripec Larisseger, dr. dent. med.* Otrokom in tudi odraslim ne le svetuje, marveč jih tudi opremlja s pripomočki in jim

Težavam z zobmi botruje

tudi to, da ne žvečimo več dovolj trdne hrane, že od dojenčkov naprej.

nudi trening za popravo deformacij. Z njim smo se pogovarjali v prostorih naravnega biološkega zobozdravstva ZZAD v Ljubljani.

James Nestor v knjigi piše, da težavam z zobmi botruje tudi to, da ne žve-

Zobozdravnik Damir Škripec Larisseger, dr. dent. med., s silikonskim aparatom Myobrace za poravnavo zob z naravnim pristopom. V svoji ordinaciji ima poseben prostor za urjenje spreminjanja navad otrok in odraslih za pravilno dihanje skozi nos, popravljanja položaja in funkcije jezika ter treniranja oralnih mišic za pravilno delovanje.

čimo več dovolj trdne hrane, ampak industrijsko predelano hrano, in to že od dojenčkov naprej. Pred približno tristo leti je začela večina svetovnega prebivalstva trpeti zaradi krivih zob in težav z dihanjem. Usta so se skrčila, obrazi so postali bolj ploski, zamašili so se sinusi, povečal se je karies …

Koliko teh težav opažate pri ljudeh, otrocih, ki pridejo k vam?

Več kot devetdeset odstotkov otrok in odraslih potrebuje pomoč. Pravzaprav skoraj vsak ima izraženo vsaj eno

- MAREC 2023 - Misteriji 11
ZOBJE IN ZDRAVJE
Foto Nataša Čampelj

PreZgodnje Puljenje Zob

razvojno nepravilnost obraza in čeljusti. Zelo malo jih je, ki ne bi imeli v ustih vsaj nekaj narobe. Katere so najpogostejše težave in kako si jih razlagate?

Prvič, že naš govor je takšen, da zahteva, da se jezik spusti z neba, sama artikulacija ali oblikovanje glasov pa je pogosto napačno. Pigmejci denimo govorijo prek klikov in klekov, jezik imajo ves čas na nebu, med sporazumevanjem jim zato ni treba spustiti jezika in vdihniti za začetek govorjenja. Ves čas dihajo skozi nos, njihove dihalne poti so ves čas pretočne.

Drugič, ko dojenček od sesanja preide na pitje iz stekleničke na cucelj – namesto da bi takoj po dojenju začel piti iz kozarca –, se mehanika požiranja spremeni. Pri sesanju dojenček jezik pritisne na bradavico in ju pritisne na nebo ali ob nebo, katerega tako stimulira, da se širi. Pri pitju iz stekleničke na cucelj pa začne sesati; torej uporablja mišice ustnic, da njihova sila deluje proti notranjosti. V bistvu stiska zgornjo in spodnjo čeljust; tako rezultanta sil deluje bolj navznoter kakor navzven.

Verjetno najslabši dejavnik pa je dihanje na usta namesto na nos in nepopoln ustnični stik. To skoraj vedno spremlja tudi ustno smrčanje oziroma nočno hropenje ob dihanju na usta ter razvoj obstruktivne nočne apneje (začasne prekinitve dihanja), z vsemi neprijetnimi posledicami, ki sledijo.

Razumeti pa je tudi treba, da se človek uči z opazovanjem; če starši dihajo na usta ali imajo izražene različne parafunkcije, to povzamejo tudi otroci –od načina dihanja do načina žvečenja in mehanike govora.

Nepravilno požiranje je torej zelo močan vzrok razvoja nepravilnosti …

Da. Položaj zob in oblika čeljustnic, zgornje in spodnje čeljusti, namreč sledi temu, kar delajo mišice – kje oziroma

kakšno je mišično ravnovesje mimičnih in žvečnih mišic ter jezika. Pri sesanju iz stekleničke jezik leži na ustnem dnu, kar pomeni, da bo spodnja čeljust preveč razvita, zgornja čeljust pa se ne bo širila, dihalna pot je okrnjena. Danes ima najmanj 95 odstotkov otrok nerazvit skelet – bodisi premajhno zgornjo ali spodnjo čeljust ali pa nepravilno oblikovan zobni lok zgornje ali spodnje čeljusti.

Ali uradna ortodontija to popravlja?

Pogostokrat ugotovi, da je spodnja čeljust prevelika in predlaga puljenje zob, rezanje čeljusti in pomikanje nazaj … Ampak če se spodnja čeljust premakne nazaj, da se prilagodi zgornji, se dihalna pot še bolj zapre. Nosna votlina se ne bo razvila, bo premajhna in zožena, sinusi pa bodo povečani, ker se zgornja čeljust spusti navzdol, namesto da bi bila smer rasti proti naprej. Dejstvo je, da so imeli ljudje v preteklosti manjše sinuse, kakor jih imamo zdaj, in izrazitejše ličnice. Lobanjsko dno bo tudi višje, kar pomeni, da možgani ne bodo imeli dovolj prostora za razvoj, predvsem področje hipotalamusa in hipofize. To med drugim vpliva

Dih je manjkajoči steber zdravja

Raziskovalni novinar in avtor priroč -

nika Dihaj James

Nestor se je za tehnike dihanja in celoten dihalni sistem začel zanimati pred nekaj leti, ko mu je zdravnik priporočil, da se udeleži tečaja dihanja, s katerim si bo olajšal ponavljajočo se pljučnico in bronhitis. Začel je raziskovati, bil je tudi del eksperimentov in tako je nastala njegova večkrat nagraje -

90 odstotkov ljudi diha nepravilno in ta polomija povzroča ali poslabšuje dolg spisek kroničnih bolezni.

na uspešnica. Ugotovil je, da z napačnim dihanjem škodimo svojemu zdravju, ne glede na to, koliko smo mladi ali stari, koliko telovadimo ali kako zdravo jemo. Manjkajoči steber zdravja je namreč dih. Prepričan je, da nam di -

hanje skozi usta uničuje zdravje.

Da bi spoznal načine, kako pravilno dihati, je Nestor prepotoval svet. Odgovor na vprašanje, kako izboljšamo dihanje, je iskal v pariških katakombah, v številnih pulmoloških in orto-

dontskih laboratorijih ter pri praktikih starodavnih dihalnih praks.

Desetletja raziskovanja in tisoče predihanih ur je strnil v informativno, poglobljeno in dostopno napisano knjigo, ki je bila po mnenju urednikov portala Amazon najboljša poljudnoznanstvena knjiga leta 2020. Priročnik Dihaj med drugim daje odgovore na vprašanja: zakaj je

12 - MAREC 2023 -
Zobe se da dokaj hitro premakniti, a se žal po končani ortodontski terapiji stanje prepogosto ponovno poruši.

Primer uporabe miofunkcijskega aparata Myobrace. Starši desetletnega dečka so bili zaskrbljeni zaradi sinove hude gneče v zgornji in spodnji čeljusti. Običajen nasvet bi bil počakati do najstniških let in mu namestiti zobni aparat. Namesto tega je deček popravil svoje slabe ustne navade z dveletnim zdravljenjem z Myobrace programom, ki mu je naravno zravnalo zobe in omogočilo, da so njegove čeljusti zrasle do svojega genetskega potenciala. Več primerov najdemo na Myobrace.com.

tudi na razvoj telesa in intelekta ter na mnoge funkcije, ki jih ta sistem uravnava. In če čeljustnici nista pravilno razviti oziroma če ugriz ni pravilno razvit, je napačna tudi drža, med drugim zaradi nepravilnega položaja in razmerij čeljustnic in čeljustnih sklepov.

Tretji razlog za deformacijo pa je preveč pasirane hrane oziroma premalo trdne hrane že pri dojenčkih, zaradi česar se žvečne mišice ne razvijajo, obenem pa je zaradi slabše mineralne vseb-

dihanje skozi nos boljše kot dihanje skozi usta; zakaj izdihavanje pomaga pri sproščanju; kako dihanje vpliva na tesnobo in anksioznost;

kako potapljači na dah širijo pljučno sposobnost, da zadržijo dih za nekaj minut; kako deluje nosno erektilno tkivo; kakšne težave povzroča plitko dihanje.

V knjigi spoznamo pulmonavte ali raziskovalce dihanja, ki so uporabljali dihanje, da so izravnali skoliotične (ukrivljene) hrbtenice, omilili avtoimunske bolezni in se močno ogreli v tempe-

nosti v teh živilih tudi skelet bolj podvržen raznim deformacijam. To je ugotovil že raziskovalec dr. Weston Price (1870–1948), kanadski zobozdravnik, ki je proučeval odnos med prehrano, zdravjem zob in telesnim zdravjem.

Dr. Price je opazil, da so se deformacije zob in ustne votline pri domorodnih ljudstvih začele s širjenjem kolonij; kamor se je kolonija širila, tam je že prva generacija – staršev, ki so jedli zahodnjaško hrano – imela deformi-

raturah pod ničlo. Avtor ponuja različne dihalne tehnike za različne namene, med drugim resonančno dihanje, Butejkovo dihanje, tumo, jogijsko dihanje, sudaršan krijo …

SLABŠE DIHANJE

Naša sposobnost dihanja se je skozi dolgo človeško evolucijo spreminjala in način, kako dihamo, se je od začetka industrijske revolucije izrazito poslabšal. Devetdeset odstotkov ljudi diha nepravilno in ta polomija povzroča ali poslab-

rane zobe in čeljusti. Že on je torej ugotovil, da je najboljša lokalno pridelana prehrana, ker je geografsko prilagojena. Najboljša je hrana, ki raste pri nas. Če ne raste pri nas, ni nujno dobra za nas. Naši predniki so jedli repo, zelje, ajdo, ovčetino … Krompir, koruza, banane in podobno so prišli k nam od drugod in niso hrana našega podnebja.

Kakšno je pravilno dihanje?

Mirno preponsko dihanje, na nos, neslišno ob vdihu in izdihu. Ustnice so

šuje dolg spisek kroničnih bolezni. Po drugi strani pa je mogoče številne sodobne bolezni, med njimi astmo, tesnobo, motnjo aktivnosti in pozornosti, luskavico in druge, omejiti ali odpraviti preprosto z načinom, kako vdihujemo in izdihujemo. Dihanje lahko vpliva na našo telesno težo in splošno zdravje. Kako dihamo, vpliva na velikost in delovanje naših pljuč. Če spremenimo način dihanja, bo to pripomoglo tudi k daljšemu življenju, zatrjuje avtor.

VZROKI

Štirideset odstotkov današnjega prebivalstva trpi zaradi kronične nosne obstrukcije in približno polovica jih je navajenih dihati skozi usta, pri čemer najbolj trpijo ženske in otroci. Vzroki so številni, od suhega zraka do stresa, od vnetja do alergij, od onesnaženja do zdravil. Vendar velik del krivde lahko pripišemo prostorčku v sprednjem delu človeške lobanje, ki se stalno krči. V ustih.

- MAREC 2023 - Misteriji 13 PreZgodnje Puljenje Zob
Foto Myobrace.com Foto Nataša Čampelj

PreZgodnje Puljenje Zob

v stiku, jezik pa je v celoti na nebu, prilepljen na nebo – kot kadar malo pogoltneš slino, da se naredi podtlak, ki jezik prisesa na nebo. Konica jezika je za zgornjimi zobmi, isto velja za sredino, kakor tudi za koren jezika. Koren jezika mora tudi biti na nebu, kot bi rekel črko G. Spodnja čeljust pa zaprta; torej zobje bi morali biti v stiku ali pa v pasivnem stiku.

Zakaj tako?

Ker je s tem bolj odprta dihalna pot. Nebo bi pravzaprav moralo biti plosko, v veliko primerih pa imamo visoko, tako imenovano »gotsko nebo«, kjer jezik sploh nima prostora, da bi sproščeno domoval na nebu. Tonus žvečnih mišic pa bi moral biti tolikšen, da drži spodnjo čeljust zaprto, da se ta ne odpre ali povesi ter tako dodatno ne zoži dihalne poti. Zaprta in rahlo naprej pomaknjena spodnja čeljust namreč zelo pripomore, da je dihalna pot primerno odprta oziroma prehodna.

Če usta ne zrastejo dovolj široko, se nebo ponavadi usloči navzgor namesto navzven in nastane tako imenovano gotsko ali visoko obokano nebo. Rast navzgor ovira razvoj nosne votline, jo skrči in prekine nežne strukture v nosu. Zmanjšan nosni prostor pripelje do obstrukcije in ovira pretok zraka. Na splošno imamo ljudje to žalostno lastnost, da smo najbolj zamašena vrsta na Zemlji.

Ko se nosna votlina zamaši, se pretok zraka zmanjša in razrastejo se bakterije. Te bakterije se množijo, kar lahko vodi do okužb, prehladov in še več zamaše-

Vaše izkušnje?

Tudi jaz sem prej dihal na usta. V prvi fazi, ko se popravljaš v primerni drži, se moraš čez dan velikokrat zavestno spomniti in preverjati, ali je jezik na nebu, ali so ustnice v stiku, ter seveda ustrezno popraviti. Nato se s časom vidi velik napredek, ko ob samopreverjanju ugotovimo, da imamo jezik na nebu, da so ustnice v stiku in da imamo spodnjo čeljust v ustreznem položaju.

Ali je pravilen vdih v spodnji del pljuč s trebušno prepono ali v zgornji del pljuč, kot navadno dihamo?

Vdih naj bo v trebuh v spodnje dele pljuč.

nosti. Zamašenost povzroča zamašenost in nam ne dopušča druge možnosti, kot da stalno dihamo skozi usta … Začaran krog.

SPANJE PONOČI

Več kot šestdeset odstotkov ljudi spi z odprtimi usti. Kar opazujmo se. Če se ponoči zbudimo s suhimi usti in moramo spiti kozarec vode, to pomeni, da spimo z odprtimi usti. Če imamo spalno apnejo (začasno prekinitev dihanja, zlasti med spanjem), ki po raziskavah pesti vsakega sedmega zemljana, bomo imeli čez čas težave s srcem in sladkorno boleznijo. Nekateri se med

To moramo sprva tudi kar nekaj časa zavestno delati …

Da. Jaz sem imel srečo, da sem kot otrok hodil v glasbeno šolo, igral sem pozavno, tako da sem se naučil dihati s trebušno prepono. Potem sem treniral atletiko, met kladiva, kjer sem moral to tudi obvladati, še posebej pri dvigovanju uteži, kjer je zelo pomembna osredotočenost na prepono.

Pljuča delimo na tretjine in najširša so v spodnjem, trebušnem delu. V zgornji tretjini, s katero veliko ljudi »navadno« diha, pa so najožja, torej zajamejo najmanj zraka. Čustva uravnavajo dihanje in obratno, dihanje uravnava čustva. Ko smo v paniki, v strahu, dihamo plitko z zgornjim delom pljuč – in obratno, če dihamo plitko z zgornjim delom, bomo v paniki in v stresu. S sproščenim preponskim dihanjem pa bomo tudi sami mirnejši in zbranejši.

Kaj pa dihanje med športom?

Dihanje na usta je manj učinkovito tudi pri športu. Trening bi moral biti tak-

spanjem dušijo tridesetkrat do šestdesetkrat na uro. Gre za nekajsekundne prekinitve dihanja, ob katerih se telesu zazdi, da umira, in to sproži adrenalinski odziv. In zjutraj smo nenaspani, čeprav smo spali dovolj ur.

Z dihanjem skozi odprta usta ponoči telo izpostavljamo prahu, bakterijam, virusom in drugim stvarem, ki so v zraku. Skozi nos pa ta zrak filtriramo.

Knjiga »Dihaj« Jamesa Nestorja je na voljo na Misteriji.si (34,90 €).

Dihanje je seveda lažje nadzorovati, ko smo budni. Avtor ne priporoča, da si ponoči prelepimo usta tako, da jih ne moremo odpreti. Sam si zgornjo in spodnjo ustnico pred spanjem prele-

14 - MAREC 2023 -
Zaradi dihanja na usta se začne razvijati cela kopica težav, čeljust se ne razvija pravilno, možgani se ne razvijajo pravilno ...

šen, da tečeš, dokler lahko med tekom dihaš na nos. Ko pa ne moreš več teči in dihati na nos, se ustavi, predihaj na nos in nato nadaljuj. S hitrim in plitkim dihanjem na usta se ne umiriš.

Ali ste tako dihali tudi kot aktiven športnik?

Ne, kje pa. Preponsko sem sicer dihal, ampak pretežno skozi usta, kar ni povsem pravilno. Sem pa zato sedaj toliko pozornejši na dihanje na nos ob rekreaciji, igranju košarke ali na sprehodih.

Ali o dihanju, žvečenju … že poučujejo tudi na medicinski fakulteti ali to sodi v »alternativo«?

Nekaj že učijo na fakulteti, a premalo glede na to, kaj vse že danes vemo o

pi z majčkenim selotejpom, s katerim po potrebi zlahka odpre usta in ga je na ustnicah ravno toliko, da ga čuti in ga hkrati spomni, naj čim več diha skozi nos. Ta rešitev je preprosta in poceni.

ŽVEČENJE

Naši starodavni predniki so žvečili po več ur na dan, vsak dan. In ker so toliko žvečili, so jim zrasla široka, močna in izrazita usta, zobje, žrela in obrazi. Hrana v industrializiranih družbah pa je tako predelana, da skoraj ne zahteva žvečenja. V zadnjih tristo letih smo postali edina vrsta, ki ima skrivljene zobe. Mnogi si morajo

tem. Tega sem se naučil predvsem z neformalnim izobraževanjem zunaj okvirov uradnega zobozdravstva. S tem znanjem lahko pomagamo ljudem, da

odstraniti modrostne zobe, ker v ustih nimajo dovolj prostora. Nekdaj ljudje niso imeli aparatov za zobe, a so vseeno vsi imeli čisto ravne. Vse živali v naravi imajo ravne zobe, ker ima njihova lobanja dovolj prostora zanje, ljudje pa imamo danes te težave ne zato, ker bi imeli slabše ali pokvarjene zobe, temveč zato, ker zanje ni dovolj prostora. Usta se nam manjšajo, zobje nimajo dovolj prostora in se krivijo. Manjša usta pomenijo manj vdihanega zraka in to posledično povzroča dihalne težave. To so glavni vzroki za nespečnost, astmo, smrčanje in druge težave, niza avtor.

spremenijo svoje navade. Ozavestimo jih, da nekaj časa dihajo, žvečijo, požirajo in govorijo čisto drugače kot doslej. Po navadi delamo ljudje raje tako oziroma tisto, kar je lažje, preprosteje. Spreminjanje navad pa je zahtevno in terja čas, zato se s tem tudi ukvarja zelo malo zobozdravnikov in zdravnikov. Poleg tega so v ortodontiji v ospredje prišli fiksni aparati, ki premikajo zobe zavoljo lepega položaja in ne zaradi ugriza – oziroma manj zaradi funkcionalnosti in razumevanja, zakaj je sploh prišlo do napačnih položajev zob ali napačnega razvoja čeljusti. Zobe se da dokaj hitro premakniti, a se na žalost po končani ortodontski terapiji stanje (pre)pogosto ponovno poruši.

Glavni razlog za to je prav industrijsko predelana hrana. Ko žvečimo hrano, razvijamo ustne mišice in usta postanejo večja. Žvečenje se začne v zgodnjem otroštvu. Otroke nekoč niso hranili s kašami in predelano hrano. Otroci so jedli enako hrano kot odrasli. Hrano, ki jo je treba žvečiti. Hrana, ki jo jemo danes, torej kruh, testenine, jogurt, napitki, zmešančki in podobno, je vse mehka hrana. Z žvečenjem telovadijo ustne mišice, ki uplahnejo, če jih ne treniramo –tako kot vse mišice. Če niso čvrste, je z njimi težje dihati. Težava je lažje rešljiva v

mladih letih, še vedno pa si lahko pomagamo razširiti dihalne odprtine tudi pozneje v življenju.

DIHANJE 4–7–8

Na koncu omenimo tehniko dihanja 4–7–8, ki spravi telo v stanje globoke sproščenosti. Pomaga nam zaspati. Naredimo vdih skozi nos, nato izdihnemo skozi usta s šumečim glasom. Zapremo usta, tiho vdihnemo skozi nos in v mislih štejemo do štiri. Zadržimo in štejemo do sedem. Popolnoma izdihnemo skozi usta s šumečim glasom in štejemo do osem. Ta krog ponavljamo vsaj štiri dihe. T. S. 

- MAREC 2023 - Misteriji 15
PreZgodnje Puljenje Zob
Schwarzova plošča je snemni aparat za širjenje zgornje čeljustnice in pripravo prostora za izraščanje stalnih zob. Nosijo ga lahko tudi odrasli. Foto Nataša Čampelj

PreZgodnje Puljenje Zob

Eden tistih, ki te stvari razumejo, je prof. dr. John Mew, ki je razvil vedo po imenu ortotropika. Po njem so poimenovane specifične vaje, znane tudi kot »mewing«. Tropos pomeni drža, v tem primeru pravilna oralna drža, ki usmerja rast čeljusti in obraza. Katere pripomočke in vaje svetujete otrokom in tudi odraslim?

Silikonske zobne aparate Myobrace, ki upoštevajo vse izsledke ortotropike

Johna Mewa. Gre za poravnavo zob z naravnim pristopom. Myobrace je miofunkcijski ortognatski pripomoček oziroma aparat. Ni ortodontski aparat, ker njegov namen ni premikanje zob, marveč primarno popravljanje drže in funkcije. Vključuje načela ortotropije in miofunkcijske ortodontije, po katerih so položajne nepravilnosti zob posledica razglašenega mišičnega ravnovesja med mimičnimi in žvečnimi mišicami ter jezikom. Do te razglašenosti pa pride zaradi napačne uporabe – funkcije »obrazne aparature«. Te funkcije so, kot smo že omenili, dihanje, požiranje, žvečenje in govor ali artikulacija glasov, lahko pa so priučene razvade oziroma kompenzacije, kot so grizenje ali sesanje ustnic ter škrtanje ali stiskanje zob.

Kaj pomeni ortognatsko?

Predpona orto- pomeni primerno, primeren položaj. Ortodontija se ukvarja s primernim položajem zob, ortognatija s primernim položajem čeljustnic, ortotropija pa s primerno držo, s katero dosežemo primeren položaj tako čeljustnic kakor tudi zob. Torej pri ortognatiji in ortotropiji zobje niti niso v ospredju; ti se pasivno oziroma posledično postavijo na svo-

je mesto, če se vsi prej našteti procesi harmonizirajo.

To ni od danes do jutri, ampak je proces, dolgoročen načrt s stabilnim dolgoročnim rezultatom. Namreč, šele po dvajsetem letu starosti se vsi zobje, vključno z osmicami, modrostnimi zobmi, postavijo v zobno vrsto in takrat lahko rečemo, da je rast zob uspešno zaključena. Zato se terapija oziroma spremljanje rasti nikakor ne sme zaključiti v najstniških letih, še preden izrastejo vsi zobje. Kar je nekako še huje, pa je prezgodaj obsoditi zobe na puljenje; bodisi osmice, češ da v čeljusti ni ali ne bo dovolj prostora, ali pa ličnike, da se pripravi prostor za izrast ostalih zob.

Je ta aparat različnih velikosti?

Na voljo je v treh velikostih: majhni za otroke, srednji za najstnike in veliki za odrasle. Če ga pravilno uporabljamo, po programu, rezultati ne izostanejo. Vidni so že po dveh mesecih, ključno pa je sodelovanje staršev in otroka, brez tega ne gre.

Na kaj točno aparat vpliva?

Na to, da lažje popraviš razvade oziroma usvojiš nove navade dihanja skozi nos, popraviš položaj in funkcijo jezika, izuriš oralne mišice za pravilno delovanje. Aparat nič ne dela na silo, ne dela nobenih premikov, kot to na primer počnejo fiksni aparati ali pa nevidni (»clear aligner«) pripomočki.

Kaj pa snemni aparati?

Snemni aparat »Schwarzova plošča« uporabljamo pri večjih deformacijah; namenjen je širjenju skeleta, pripravljanju prostora za jezik, da bo lahko šel sploh na nebo. Pri nekaterih otrocih je nebo tako ozko, da jezik sploh ne more gor na nebo in je treba potem najprej razširiti nebo. Taki otroci ugotovijo, da lažje dihajo na usta. Ni pa pravilno lažje dihati na usta, ker se zaradi dihanja na usta začne razvijati cela

kopica težav, deformacij. Čeljust se ne razvija pravilno, možgani se ne razvijajo pravilno, krvni plini so porušeni, razmerje med kisikom in ogljikovim dioksidom je porušeno.

Schwarzovo ploščo nosite tudi sami. Zakaj? Se tudi v odrasli dobi še da popravljati deformacije čeljusti?

Vsekakor. Naša telesa so zelo plastična in prilagodljiva. Pravzaprav se telo zelo hvaležno odzove in nam bo dolgo služilo, če ga ustrezno negujemo, z njim previdno rokujemo, pazimo na ustrezno držo, na prehrano. To je tudi globlji oziroma širši pomen besed joga ali pa higiena.

V vaši ordinaciji Naravnega biološkega zobozdravstva izvajate tudi osnovni program za spreminjanje navad otrok in odraslih za pravilno dihanje skozi nos, popravljanje položaja in funkcije jezika, urjenje oralnih mišic za pravilno delovanje … Kako dolgo traja program?

Šestnajst do osemnajst mesecev. Vključuje tri stopnje aparatov Myobrace in kontrolo z aktivno vadbo pod nadzorom Myobrace vaditelja enkrat mesečno. Na voljo so tudi dodatni termini za aktivno vadbo, ki so priporočljivi v zgodnji fazi.

Koliko stane program?

Priporočena cena predortodontskega oziroma miofunkcionalnega ortognatskega programa Myobrace, ki jo je postavil proizvajalec sistema, približno ustreza ceni ortodontskega pristopa s fiksnim aparatom, to je okoli tisoč petsto evrov za leto in pol terapije.

*zzadtermini@gmail.com

16 - MAREC 2023 -
Tatjana Svete
Pravilno dihanje je mirno preponsko dihanje, na nos, neslišno ob vdihu in izdihu.
Trening bi moral biti tak, da tečeš, dokler lahko med tekom dihaš na nos.

Kaj vse je v pitni vodi in kako nam to škoduje (1)

Ljudje ne jemo prsti

Vedno več ljudi si doma destilira vodo iz pipe, destilirano vodo pije in z njo kuha. Raziskali smo, kakšne so prednosti tega oziroma zakaj naj bi to sploh počeli. V ta namen smo tudi sami naredili preizkus. Vodo smo v domačem destilatorju dva meseca vsak dan destilirali tri- do štirikrat. In zbirali in dokumentirali, kaj ostane na dnu destilatorja po vsaki končani destilaciji vode. Najbolj opazen in vsem viden je kalcijev karbonat in temu se bomo posvetili najprej. V dveh mesecih se je nabralo kalcijevega karbonata za skoraj štiristo mililitrov oziroma štirideset dekagramov ali za štiri tablice Milka čokolade.

Kaj bi se zgodilo, če bi ves ta kalcijev karbonat spili oziroma ga pojedli z juho, čajem, kavo in drugo hrano? Odgovor sledi, še prej pa poglejmo, kaj je ta kemična spojina s formulo CaCO3. Kalcijev karbonat je na Zemlji zelo pogosta snov in ga v obliki apnenca najdemo na vseh koncih sveta. Kot samostojno kamnino oziroma mineral ga najdemo v aragonitu, kalcitu, kredi, apnencu, marmorju, travertinu in vateritu. V kombinaciji z drugimi kamninami pa v dolomitu. Kot že imena povedo, ja ta anorganska mineralna spojina – kamen! Ali kamen sodi v človeško telo?

OTRDELOST ARTERIJ

Dale Maxwell in Bonnie O'Sullivan, avtorja knjige Pozor – voda je onesnažena! (Dirty Water Warning), svetujeta, naj se kalcijevemu karbonatu izogibamo, ker naše telo ni zasnovano za prebavo in uporabo te anorganske oblike kalcija.

»Ker kalcij v kalcijevem karbonatu ni stoodstotno biorazpoložljiv in ga prebava ne more popolnoma razgraditi, se del kalcija znajde v mehkih tkivih in postopoma povzroči vnetna stanja, otrdelost arterij, ledvične in žolčne kamne ter toge, boleče, otekle in iznakažene sklepe; iznakaženost se običajno začne v sklepih oziroma členkih prstov. Več ko jemljete anorganskih mineralov (velja tudi za večino prehranskih dodatkov), kot je kalcijev karbonat, prej boste občutili njihove učinke,« zatrjujeta Maxwell in O'Sullivan. Knjigo sta leta 2008 napisala, ker naj bi po oceni Ameriškega centra za nadzor bolezni v Atlan-

ti zaradi pitja onesnažene pitne vode v naslednjem letu zbolelo blizu milijon Američanov.

TRDA VODA IN ARTRITIS

Kalcijev karbonat je v pitni vodi, ker ga s seboj prinese voda, ki se ga nabere na dolgi poti od izvira, prek takšnih in drugačnih kamnin, do naše pipe. V Sloveniji je voda precej trda, saj teče čez apnenec in ga prinaša s seboj. In če ne bi vode destilirali, ga sploh ne bi videli oziroma bi težko verjeli, da ga je toliko v njej. Ali je torej nenavadno, da imamo v Sloveniji toliko artritisa (vnetja sklepov)

- MAREC 2023 - Misteriji 17
VODA ZA ZDRAVJE
Če vemo, kako trdo vodo pijemo v Sloveniji, ni čudno, da imamo toliko artritisa in poapnitev mehkih tkiv.
Destilator je bil po nekaj dneh uporabe poln kalcijevega karbonata. Očistili smo ga lahko le z alkoholnim kisom.
Foto T. Svete Foto T. Svete
Po dveh mesecih destiliranja pitne vode smo »pridelali« okoli štiristo mililitrov kalcijevega karbonata, ki bi ga sicer popili.

ljudje ne jemo Prsti

oziroma kalcinacij ali poapnitev mehkih tkiv? Če upoštevamo, kako trdo vodo pijemo, to ni nepričakovano.

»V Sloveniji se zaradi artritisa upokoji dvaintrideset odstotkov vseh, ki jih invalidsko upokojijo zaradi bolezni gibal. Zmanjšana mobilnost prispeva k drugim boleznim, ki slabšajo kakovost življenja obolelih, povečujejo tveganje za nastanek debelosti, depresije, bolezni srca in številnih drugih obolenj. Artritis je ena najdražjih bolezni!« izvemo v knjigi Zdravljenje artritisa Barbare Černe. Nikjer ne piše, da je temu kriv le kalcijev karbonat iz pitne vode, zagotovo pa prispeva pomemben delež.

V VODO PRIDE TUDI …

Dale Maxwell in Bonnie O'Sullivan pristavljata, da kalcijev karbonat v pitno vodo pride tudi zato, ker ga uporabljajo pri čiščenju vode in odpadkov. V medicini ga pogosto uporabljajo kot poceni kalcijev dodatek ali antacid (zdravilo oziroma učinkovino, ki nevtralizira kislo vsebino želodca). Farmacevtska industrija ga uporablja kot inertno polnilo za tablete in druge farmacevtske izdelke. Kot aditiv za živila ga najdemo v živilih, kot so pomarančni sok, pecilni prašek, zobna pasta, suhe mešanice za sladice, testo in vino. Je aktivna sestavina kmetijskega apna, najdemo ga v krmi za živali. Dodajajo ga v nekatere izdelke iz sojinega in kravjega mleka kot vir »prehranskega« kalcija …

Tu pa si moramo razjasniti, kakšna je razlika med organskimi in anorganskimi minerali; razlago povzemamo po Drclark.si:

»Organski minerali (organske mineralne spojine) so bili nekoč ali so še

vedno v živih bitjih – rastlinah in živalih. Organski minerali vsebujejo ogljik in njihovi elektroni se vrtijo v smeri urnega kazalca, tako kot tisti v človeškem telesu. Ti minerali lahko tvorijo ionske vezi s človeškim telesom in enostavno razpadejo v snovi, ki jih telo lahko uporabi v biokemičnih procesih ali, kot primer, pri regeneraciji tkiv.

Anorganski minerali (anorganske mineralne spojine) so mrtvi – kamni in kovine, ki niso bile nikoli v živih bitjih. So brez ogljika in ne morejo pozitivno vplivati na celice. Telo takšne minerale obravnava kot tujke, strupe, njihove vezi so veliko močnejše in telo jih razgrajuje z veliko težavo. Njihovi elektroni se vrtijo v nasprotni smeri od urnega kazalca in niso sinhronizirani s telesom.«

ENAKA

KEMIČNA ZGRADBA

»Do tako velike zmote med organskimi in anorganskimi minerali je prišlo, ker imajo enako kemično zgradbo. Nutricisti so naredili bistveno napako, saj so predpostavili, da podobnost v kemični sestavi pomeni tudi enakost kot prehransko dopolnilo. Res je, da lahko enake minerale, ki so v človeškem telesu, najdemo tudi v zemlji in vodi, napačno pa je prepričanje, da so minerali iz vode in zemlje hrana za človeka. Ljudje ne jemo prsti; ljudje jemo rastline, sadje in živali.

Nujno je, da se minerali iz zemlje spremenijo v organsko obliko s pomočjo rastlin, preden se lahko vsrkajo v človeško telo do posameznih celic in vključijo v biokemične procese v telesu. Različne

mineralne spojine, ki jih proizvajajo kemiki, so v svoji strukturi in molekularni sestavi povsem drugačne kot tiste, ki jih naredijo rastline …

Ko rastlina uporabi anorganski mineral iz zemlje, ga v postopku fotosinteze predela in naredi organsko, ionsko obliko minerala. Ta človeškemu telesu omogoči, da mineral vsrka in uporabi na celični ravni. Organski minerali niso nikoli shranjeni ali odloženi kjerkoli v telesu. Elementov v sledeh v anorganski obliki pa telo ne more uporabiti.«

DESTILIRANA VODA

In kako smo v našem poskusu »pridelali« za štiri tablice čokolade anorganskega kalcijevega karbonata? Zmogljivost domačega destilatorja, ki vodo čisti s parno destilacijo in filtrom z aktivnim ogljem, je približno tri litre na tri do štiri ure; vsak dan smo torej destilirali devet do dvanajst litrov vode. V destilator natočimo vodo iz pipe, čim bolj vročo, da destilacija poteka hitreje. Destilator vodo segreje na sto stopinj. Ker ima voda nižje vrelišče kot nečistoče in minerali v njej, se spremeni v paro (hlape), vse ostalo pa pusti za seboj. Ko se zavreta voda spremeni v paro, se ta ohladi in kondenzira v kapljice prečiščene vode. Te na koncu pronicajo še skozi filter z aktivnim ogljem, ki zagotovi, da v vodi ne ostanejo pesticidi ali nevarne organske spojine. Kapljice se nato zberejo v stekleni posodi. Na dnu destilatorja pa ostanejo kemikalije, bakterije, virusi, paraziti in anorganske mineralne spojine.

Z destilirano vodo dobimo najčistejšo in najbolj svežo vodo, ki je na voljo kjer koli, menita Maxwell in O'Sullivan. Destilacija posnema proces čiščenja vode v naravi, ko voda izhlapeva in pada nazaj kot dež! O tem, kaj vse je še v pitni vodi, ki jo pijemo, pa naslednjič.

Tatjana Svete

18 - MAREC 2023 -
Destilacija posnema proces čiščenja vode v naravi, ko voda izhlapeva in pada nazaj kot dež.
»Da bi videli več, moramo več spregledati.«
(Peter Amalietti)

Dolgotrajni napadi psihičnih vampirjev imajo lahko uničujoče posledice (1)

Moč psihičnih vampirjev

Čustveni in energijski vampirizem je danes v svetu živ in cveti. Tako pravi ameriški profesor in doktor psihologije Joe Slate, avtor knjige Psihični vampirji (Psychic Vampires). Verjetno smo vsi že kdaj bili žrtev psihičnega vampirja, pa se tega takrat sploh nismo zavedali. Morda je šlo za naključno srečanje z energijskim plenilcem, ki nas je začasno izčrpalo, ali pa celo za dolgotrajno interakcijo z vampirji z resnimi učinki na naš um in telo.

Psihični vampirji, ki sesajo našo energijo in ne kri, obstajajo v številnih preoblekah, a vsi imajo eno skupno lastnost – njihov neustrezen energijski sistem jih prisili, da izkoristijo nič hudega slutečo žrtev-gostitelja in se hranijo z njegovo energijo.

TATOVI ENERGIJE

Ob takšnem srečanju psihičnega vampirja z gostiteljem ena na ena vampir takoj dobi novo, čeprav le začasno porcijo energije, medtem ko nič hudega sluteča žrtev utrpi veliko izgubo duševne in telesne energije. Če se nenadoma počutite čustveno ali duševno izčrpane, vas je morda napadel psihični vampir. Obžalovanja vredni učinki dolgotrajnega izgubljanja energije so poškodbe energijskega sistema in v nekaterih primerih tudi resne bolezni.

Enako kot njihovi dvojniki iz ljudskega izročila – vampirji, ki se hranijo s krvjo –, so tudi psihični vampirji oziroma tatovi energije lahko moški ali ženske, mladi in

Njihov neustrezen energijski sistem psihične vampirje prisili, da izkoristijo nič hudega slutečo žrtevgostitelja in se hranijo z njegovo energijo.

stari. Lahko so že otroci od osmega do dvanajstega leta, najstniki ali odrasli. Lahko so urejeni poslovneži, premožni vodilni spletnih podjetij, elegantni izvršni direktorji, rokovski zvezdniki ali gradbeni delavci. Psihični vampir je

lahko vaš sodelavec, poslovni partner, sosed ali celo vaš družinski član.

SVETOPISEMSKA SPOROČILA

Že dolgo pred popularizacijo vampirjev iz ljudskih izročil kot krvoločnih hudobnežev, ki iz svojega plena srkajo kri za ohranjanje svojega življenja, so obstajali psihični vampirji kot plenilci, ki drugim sesajo energijo. Zgodovinski viri nam govorijo, da so legendarno različico vampirjev, ki sesajo kri, pravzaprav navdihnili vampirji, ki sesajo energijo.

Zgodnji primer z jasnimi znaki psihičnega vampirizma je svetopisemska zgodba o Dalilinem zvitem zapeljevanju Samsona, ki je delovala kot vampirka, ko mu je postrigla lase, vir njegove moči. Tudi svetopisemska zgodba o stvarjenju, v kateri je Bog moškemu vdahnil dih (energijo) življenja in mu nato vzel rebro (od energije), da bi ustvaril žensko, ponazarja prenosljivo naravo energije ali življenjske sile.

To dajanje in prevzemanje energije še bolj dramatično ponazarja svetopisemska zgodba o ženi, ki se je dotaknila roba Jezusovega oblačila in jo je prepojila energija, medtem ko je Jezus hkrati čutil, kako energija zapušča njegovo telo. Tematika psihičnih vampirjev je zelo pogosta v mnogih primitivnih kulturah, ki so imele obrede za opogumljanje in energiziranje svojih bojevnikov ter demoraliziranje in onesposabljanje (vampirizacijo) sovražnikov. Tudi danes vojaške strategije pogosto vključujejo

- MAREC 2023 - Misteriji 19
PARAPSIHOLOGIJA
Samson in Dalila (slika umetnika »Light Bear«) Foto splet

v nekaterih primerih tudi resne bolezni.

pretirano izkazovanje sile – kot sta šokiranje in vlivanje strahospoštovanja –za demoraliziranje in jemanje poguma (vampirizacijo) sovražnika.

ZGODNJE SREČANJE S PSIHIČNIM VAMPIRIZMOM

Joe Slate se je prvič zavedel psihičnega vampirizma v zgodnjem otroštvu, ob daljni sorodnici, ki je trdila, da je odkrila skrivnost večnega življenja. Bila je svetovna popotnica, ki se je učila pri več učenjakih na Daljnem vzhodu. Ti so jo, kot je trdila, naučili, kako se lahko sporazumeva v duhu, potuje zunaj telesa in črpa življenjsko energijo iz narave, tudi iz dreves, potokov in celo skal. Med njenimi najbolj nenavadnimi trditvami je bila sposobnost, da lahko ugasne ogenj s svojimi mislimi in iz njega črpa pomlajevalno energijo.

Eden njegovih najbolj živih spominov na otroštvo je bila praznična večerja v njenem dvorcu, med katero je osupnila goste s prikazom svoje neverjetne veščine. Sedla je na mesto gostiteljice – na čelo zelo dolge mize, ki so jo krasili trije veliki svečniki –, in rekla, da je svetloba v sobi premočna. Nato se je nekoliko nagnila naprej in na začudenje vseh v vsakem svečniku, očitno z močjo misli, ugasnila pet od šestih sveč!

Zaintrigiran z njenimi trditvami o izjemni moči in še zlasti s tem, kar je videl, je začel sumiti, da ženska ne črpa energije le iz narave, ampak tudi iz ljudi. Končno je zbral pogum in jo vprašal, ali črpa energijo tudi iz ljudi. Položila mu je roko na ramo in odgovorila: »No, seveda. Kako bi sicer lahko večno živela?« Čeprav ni vedel, ali naj ji verjame, se mu je dozdevalo, da so med njenimi prednostnimi viri energije dobro razviti mladi moški, ki so sestavljali njeno gospodinjsko osebje. Ostala je odličnega zdravja in neverjetno mladostnega videza, vse dokler ni med spanjem v 101. letu končno prestopila na ono stran.

Prihodnjič: Študije psihičnega vampirizma

Letos preminuli Joe Slate je bil profesor psihologije na Univerzi Athens State v Alabami s podoktorskim študijem hipnoze in psihosomatske medicine na kalifornijski univerzi. Njegove raziskave o pomlajevanju, obvladovanju bolečin, reinkarnaciji, astralni projekciji in človeški avri sta financirali tudi ameriška vojska in Parapsihološka fundacija iz New Yorka. Bil je tudi ustanovitelj inštituta za parapsihološke raziskave PRIF ter avtor več knjig, kot so Onstran reinkarnacije (Beyond Reincarnation), Psihični vampirji (Psychic Vampires), Avrična energija za zdravje, zdravljenje in ravnovesje (Aura Energy for Health, Healing & Balance) in Pomlajevanje (Rejuvenation).

»Akaša je neskončna zbirka podatkov, nekakšna knjižnica na eterični ravni. Vsebuje vse naše misli, ideje, čustva in izkušnje ter jih združuje v univerzalno podatkovno zbirko, ki povezuje več ravni našega obstoja. Gre za zapis v kvantnem svetu, ki ga lahko primerjamo s svetovnim spletom v tukajšnjem svetu. Vedeti moramo, kaj iščemo,« pravi Aleksandra Winkler Drole, ki je napisala že drugo knjigo o akaši Akaški zapisi – mojstrstvo duše. Z njo smo se pogovarjali, kako z vpogledom v akašne zapise prek posebnega nihala izboljšamo svoje življenje.

Kako beremo iz akašnih zapisov?

Za začetek odčitavanja je najbolj priporočljiva uporaba radiestezijskega nihala. Pri nihalu ne gre za nič magičnega ali mističnega. Omogoča nam zavestno sprejemati informacije, ki jih potrebujemo. Pomembne stvari poveže na zelo praktičen in razumen način.

Kakšno nihalo je za branje?

Izdelala sem nihalo Akash. Preden ga uporabimo, se umirimo, gremo v alfa stanje. Jaz to naredim že brez posebnih meditacij. Zaprem oči in rečem, naj gre vsa negativna energija, ki je ne potrebujem, stran. Z roko jo potegnem navzdol in proč od nihala, tako odpihnem negativno energijo. Nihala ni treba nič umivati, ne dajati v sol, ker se čisti sámo. Dam torej prošnjo, da gre stran vse, kar ni v najvišje dobro. Potem ga stisnem v dlan, tako da začutim svoj utrip v dlani. Nihalo je podaljšek roke, roka pa je podaljšek srca. Potem naredim prošnjo, namen nihalu, da odgovarja v najvišje dobro in za dobro vseh.

Kako pridemo v peto dimenzijo, kjer je, kot pravite, akaša?

Res je – podzavest premika nihalo, ampak šele potem, ko se povežemo s peto dimenzijo in s še višjimi dimen-

20 - MAREC 2023 -
Moč psihičnih vaMpirjev razbiranje akašnih zapisov
Obžalovanja vredni učinki
dolgotrajnega izgubljanja energije so poškodbe energijskega sistema in
Foto splet

Akaša je neskončna zbirka podatkov, knjižnica na eterični ravni

Razbiranje akašnih zapisov

zijami, odvisno od naše stopnje zavesti. Jaz se v akašne zapise preprosto potegnem miselno tako, da si zamišljam, da se dvigam z dvigalom navzgor. Z dvigalom grem v peto nadstropje, šesto, sedmo, izstopim in si zamislim tempelj, ki sem ga tudi naslikala na platno. In zdaj sem tam. Kaj lahko vprašamo?

Najprej vprašamo, ali imamo dostop do akašnih zapisov. Če nihalo temu pritrdi – prej določimo, kaj pomeni, če zaniha v krogu na levo ali desno – sprašujemo naprej. Nihalo je zelo odzivno, zelo občutljivo, takoj zaniha, saj smo ga naredili po merah nihala iz zelo stare muzejske zbirke nekega znanega bioenergetika.

Nato postavljamo vprašanja, ki nas zanimajo. Odgovori naj bodo v obliki »da« ali »ne« in včasih tudi »mogoče«. Ne sprašujmo ničesar takega, kar bi lahko ostalo nejasno, »v zraku«. Ko končam, se zahvalim mojstrom modrosti in angelom varuhom, ki so povsod z nami. In zaprem akašno knjigo stranke ali sebe, ki je, kot rečeno, na metafizični ravni. Pomembna je ponovna vrnitev in prizemljitev, zato si zamislim, da se z dvigalom spuščam navzdol v tukaj in sedaj.

Komu je dovoljen vstop v akašne zapise? Je dostop možno zlorabiti?

Akašni zapisi imajo zanimivo lastnost delovanja. Če želimo vanje vstopiti z namenom

Podzavest

premika

nihalo,

ampak šele potem, ko se povežemo s peto dimenzijo in s še višjimi dimenzijami, odvisno od naše stopnje zavesti.

zlorabe oziroma da bi komu škodovali, vedno zavrnejo dostop do sebe. Tudi ne more kar vsak dostopati do podatkov o nas. Če nekdo pride do teh zapisov samo iz radovednosti, dobi nepopolne informacije. Radovednost v tem kontekstu ni dobra lastnost in je

ne odobravamo. Če imamo zgrešen namen, dostopamo na napačen način. To pa povzroči, da se nam reč vrne.

Lahko sprašujemo o drugi osebi?

Če želimo dostopati do zapisa druge osebe, potrebujemo njeno dovoljenje. Razen pri nekaterih izjemah, kot so denimo starši, ki lahko sprašujejo za svoje otroke, dokler jih finančno vzdržujejo, preživljajo.

Naredili ste tudi poseben medeninast obesek – Atlantidski-Pozejdonov talisman …

Da. Varoval naj bi nas pred negativnimi dušami.

Katere duše so negativne?

Večina duš, ki jih srečamo pri našem delu, je pozitivnih. Občasno pa se zgodi, da naletimo tudi na kako negativno. Skozi stalne negativne odločitve je taka duša izničila svojo dušno matrico do točke, ko ne more več prejemati življenjske energije iz božanskega vira. Zato je prisiljena črpati življenjsko energijo od drugih ljudi. Negativne duše si želijo veliko naše pozornosti, saj smo mi zanje vir vitalne življenjske energije, to pa pogosto počnejo z manipuliranjem in kontrolo. Rade dobivajo pomoč drugih, zato se potrudijo, da bi privabile našo pozornost.

Kako to zaznamo?

Na zunaj je nemogoče razlikovati med pozitivno in negativno dušo. To lahko ugoto-

- MAREC 2023 - Misteriji 21
RADIESTEZIJA
Aleksandra Winkler Drole s svojo drugo knjigo o akaši »Akaški zapisi – Mojstrstvo duše«; knjiga je na voljo na Misteriji.si, cena je 37 €. (Je nadaljevanje knjige »Akaški zapisi – Osnove dušne matrice z vpogledom v akaške zapise«.) Foto E. Majnik

vimo samo prek akašnih zapisov. Negativne duše so lahko izredno šarmantne in navidez pozitivne, medtem ko so nekatere pozitivne duše nesrečni »zadirčneži«. Če odkrijete, da ste vstopili v negativno dušo, delo z nihalom takoj končajte, saj njihovih akašnih zapisov ne moremo brati. Negativne duše namreč zanikajo svojo matrico, zato jim naše delo preprosto ne pomaga.

Kako nam pomaga talisman?

Čeprav je najboljša zaščita pravilno delovanje, torej dobra karma, pa je

v današnji družbi, ko prihaja do izjemnega porasta negativnih duš, nujno potrebna hitra pomoč. Tako sem pri uvidu prek kanaliziranega sporočila prejela navodila za izdelavo talismana, ki ščiti pred vdorom negativnih duš. Negativni element, ki ga vsadijo negativne duše –o njih več pišem v knjigi – deluje na posameznika kot prepričanje. To prepričanje se v resnici ne sklada z njegovo v osnovi pozitivno dušo, zato to prepričanje deluje negativno kot iluzija, privid, prevara. Tako okužen po-

NIHALO AKASH

Nihalo Akash uporabljamo za odčitavanje nevidnih svetov, sveta akaš; za pogovor s podzavestjo in višjim jazom, ker je dober sprejemnik; za aktivacijo akupunkturnih točk, ker je dober oddajnik zdravilnih energij; za zaznavanje morebitnih blokad v telesu in delovanje čaker; za odčitavanje bioenergijskega polja; za radiestezijo, tudi na daljavo, ker zaznava energije od pete dimenzije.

»To nihalo ima blagodejni učinek, ima močno frekvenco premikanja in zmožnost visoke duhovne zaznave. Spodbuja zdravljenje s postopkom pritiskanja na akupunkturne točke, in še sama uporaba tega nihala nam daje občutek umirjenosti, kot da smo na svetem kraju, ker ima sposobnost oddajanja višjih energij. Ker je hkrati dober sprejemnik, z njegovo pravilno uporabo enostavno dobimo odgovor iz sveta akaš. Je izjemno povezovalno sredstvo med fizičnim in duhovnim svetom, vse do sedmega dimenzionalnega obstoja,« pravi Aleksandra Winkler Drole. Dosegljiv je na Misteriji.si, cena je 46 €.

sameznik lahko skoči v vodo, misleč, da je dovolj globoka in da bo s tem nekaj rešil, denimo nekoga, ki se utaplja, vendar se poškoduje. Izbral je negativno odločitev in posledice so lahko zelo hude – od izčrpanosti in izgorelosti pa do fizičnih zdravstvenih težav.

Na talismanu je tudi Pozejdonov trizob, trojna sulica …

Ta sulica je značilna za boga Šivo in Pozejdona. Trizob predstavlja tri glavne energijske kanale v človeškem telesu in hkrati tri glavne naloge stvarnika, namreč ustvarjanje, vzdrževanje in uničenje.

Ali Atlantidski-Pozejdonov talisman tudi uravnoteža čakre v našem telesu?

Dejstvo je, da pri ljudeh čakre ne delujejo enako in to je naša dušna narava, tako kot nismo vsi enako dobri govorniki ali športniki. Če je naša čakra preveč delujoča, je neka naša odločitev oziroma delovanje napačno. Enako je tudi pri preslabo delujoči čakri. Svoje čakre pa uravnotežimo samo s pravilnim delovanjem, s pravilnimi izbirami, in če nam Atlantidski-Pozejdonov talisman pri teh odločitvah pomaga, je to izjemno darilo za nas same.

22 - MAREC 2023 -
razbiranje akašnih zapisov
Negativne duše si želijo veliko naše pozornosti, saj smo mi zanje vir vitalne
življenjske energije, to pa pogosto počnejo z manipuliranjem in kontrolo.
Foto splet Atlantidski-Pozejdonov talisman je dosegljiv na Misteriji.si (55 €).

Nedoživljanje popolnega orgazma privede do osebnostnih motenj

Spolnost vpliva na duševnost

Wilhelma Reicha (1897–1957) poznamo po odkritju orgonske (življenjske) energije. Le malo ljudi pa ve, da je orgonsko energijo odkril ob proučevanju spolnosti. Nedavno je ob stopetindvajseti obletnici Reichovega rojstva in stoletnici rojstva teorije orgazma v slovenščini izšlo eno njegovih najpomembnejših del Funkcija orgazma (Odkritje orgona, 1. del). Gre za razvpito strokovno monografijo o razumevanju človeške spolnosti. Ker je to ena osnovnih naravnih potreb, tako kot je denimo prehranjevanje, so izsledki njegovih raziskav zanimivi za vsakogar.

Wilhelm Reich – slavni avstrijski psihoanalitik, psihiater, seksolog in sociolog – se je posvečal vprašanju, kako biološka energija vpliva na človekova čustva, obnašanje in spolnost. Zaradi kontroverznih zamisli so ga preganjali in celo zaprli; njegova psihološka dela so dobila status klasik. Kasnejše raziskave in sodobni psihoterapevtski pristopi so v veliki meri potrdili njegovo osnovno predpostavko, da so motnje v delovanju telesa in duševne motnje neposredno povezane.

ORGAZMIČNA NEMOČ

V Funkciji orgazma je predstavil tezo, utemeljeno na lastnih terapevtskih izkušnjah in obsežnih empiričnih študijah, da je zmožnost doseganja orgazma in »orgazmična moč« eden pomembnih vidikov duševnega zdravja. Trdil je, da sta v tem smislu telo in duh neločljivo povezana.

Orgazmična

hopatska imupulzivnost, seksualni umor, posilstvo otrok in drugo.

• Značajske nevroze zaradi potlačenih nagonov: kompulzivna nevroza, s strahom pogojena histerija, konverzivna histerija.

Ugotavljal je, da so nevroze – živčne bolezni duševnega izvora brez organskih okvar – in druge duševne motnje posledica »orgazmične nemoči«. Pri ženski ali moškem, ki ne zmore doživeti »popolnega orgazma«, pride do blokade libida ali spolnega nagona, kar lahko botruje različnim osebnostnim motnjam.

Ko je spolna energija zadušena, so možni trije patološki (bolezenski) izhodi, našteva Reich:

• Nezadržna, samouničevalna nagonskost: zasvojenost, alkoholizem, zločin kot posledica občutka krivde, psi-

• Funkcionalne psihoze: shizofrenija, paranoja, melanholija in manično depresivna blodnja.

Orgazmična nemoč pa poganja tudi nevrotične mehanizme, ki delujejo v politiki, vojni, zakonski zvezi, pri vzgoji otrok in drugje; vsi po vrsti pa so po njegovem posledica pomanjkanja genitalne zadovoljitve človeških množic.

VEGETOTERAPIJA

Eden od ciljev njegovega psihoanalitičnega zdravljenja je bila povrnitev »orgazmične moči«. Kot svojo posebno psihoterapevtsko metodo je zato razvil vegetoterapijo, ki temelji na orgonski energiji. Za to tehniko je sicer želel uvesti ustreznejši izraz »orgazmoterapija«, a je moral upoštevati, da bi pomenil preveliko družbeno obremenitev za mlade strokovnjake s področja »seksualne ekonomije«. Ljudje se namreč ob omembi svojih naravnih potreb ali religioznih občutkov porogljivo smejemo ali pa zbegano hahljamo. Menil je, da bodo morali številni prihodnji rodovi vlagati še veliko truda, preden bosta znanost pa tudi laični svet k spolnosti pristopila resno. Verjetno se bo to zgodilo šele takrat, ko bodo družbena vprašanja o življenju in smrti neizogibno privedla do tega, da se spolnost dojame, obvlada in družbeno zavaruje.

- MAREC 2023 - Misteriji 23
SPOLNOST IN ZDRAVJE
nemoč poganja tudi nevrotične mehanizme v politiki, vojni, zakonski zvezi, pri vzgoji otrok in drugje.
Wilhelm Reich Foto splet

sPolnost vPliva na duševnost

»Pri zdravljenju duševnih motenj je treba predvsem vzpostaviti naravno sposobnost za ljubezen, kar pa je v enaki meri odvisno od duševnih in družbenih razmer. Duševne bolezni so posledica spolnega kaosa, ki prežema družbo. Ta kaos že tisočletja služi podjarmljenju ljudi prevladujočim bivanjskim okoliščinam ali, drugače povedano, ponotranjenju zunanjega procesa mehanizacije življenja. S tem, da ljudi oropaš samostojnosti, prek spolnega kaosa v njihovo duševnost zasidraš mehanizirano in avtoritarno civilizacijo,« v knjigi piše Reich.

Najpomembnejši izvor »nevrotične kuge« sta po njegovem avtoritarna, spolno represivna družinska vzgoja z njenim neizbežnim spolnim konfliktom med otrokom in starši ter genitalna tesnoba. Starši pa zatirajo spolnost majhnih otrok in mladostnikov, ne vedoč, da tako ravnajo po ukazu avtoritarne, mehanizirane družbe.

»OZDRAVITEV«

Ko je bolnik s pomočjo vegetoterapije lahko doživel popolno spolno sprostitev, se je njegova osebnost tako temeljito in naglo spremenila, da tega tudi Reich sprva ni mogel dojeti. Sprememba se je zgodila tudi na drugih življenjskih področjih.

»Nisem razumel, kako je mogoče, da pri trdovratnem nevrotičnem procesu pride do tako hitrega preobrata. Ne samo, da so izginili simptomi nevrotičnega strahu, temveč se je spremenila celotna bolnikova osebnost,« opisuje znanstvenik in v knjigi navaja nekaj primerov.

Bolniki so začeli moralistična stališča družbe spontano doživljati kot nekaj tujega in čudnega. Ne glede na to, kako togo so prej zagovarjali spolno vzdržnost pred sklenitvijo zakonske zveze, se jim je zdaj ta zahteva zdela groteskna. Tovrstne zahteve so zanje

izgubile pomen. Postali so ravnodušni do njih.

Spremenil se je tudi njihov odnos do družbenega dela. Če so prej delali mehanično ter do službe niso kazali nobenega pravega zanimanja in so jo imeli za nujno zlo, ki si ga naprtiš brez razmisleka, so zdaj postali izbirčnejši. Če so jim nevrotične motnje prej preprečevale, da bi delali, se je v njih zdaj oglasila potreba, da bi se lotili nekega praktičnega dela, ki bi jih tudi osebno zanimalo. Če je bilo delo, ki so ga opravljali, takšno, da je pritegnilo njihovo zanimanje, so se

razcveteli. Kadar je bilo mehanične narave, kot na primer delo uslužbenca, poslovneža ali odvetnika na srednji stopnji, pa jim je postalo skoraj nevzdržno breme.

UPOR PROTI DRUŽBENI MORALI

Do izrazitih sprememb je prišlo tudi na spolnem področju.

»Bolniki, ki so dotlej brez pomislekov obiskovali prostitutke, tega niso več mogli početi, ko so postali orgazmično potentni. Ženske, ki so prej potrpežljivo prenašale življenje z neljubljenim moškim in pristajale na spolni akt iz ›zakonske dolžnosti‹, tega zdaj niso bile več zmožne. Uprle so se, tako ni šlo več naprej. Kako naj bi temu nasprotoval? Bilo pa je v navzkrižju z vsemi takrat veljavnimi družbenimi stališči, na primer z zahtevo, da mora žena samoumevno ugoditi moževim spolnim potrebam, dokler je njun zakon veljaven, naj hoče ali ne, naj ga ljubi ali ne, naj jo vzburja ali ne. Ocean laži tega sveta je globok!« je zapisal Reich.

Bili pa so tudi primeri, ko je orgazmoterapija poročene ali neporočene ženske, ki so prej občevale vsevprek, ker pač niso ničesar občutile, navdala z resnostjo, ki jim je preprečevala, da bi šle spat z vsakomer. Postale so »moralne« v smislu, da so si želele le enega partnerja, ki bi jih ljubil in zadovoljeval.

»Ozdravljenci so spontano odkrili drugo obliko morale, ki ni bila podvržena zahtevam, kot so ›moraš‹ ali pa ›ne smeš‹. Razvila se je spontano na podlagi potreb po kakovostni spolni zadovoljitvi. Vzdržali so se spolnega odnosa, čeprav so imeli željo po njem, kadar zunanje ali notranje razmere niso zagotavljale celostne zadovoljitve. Prišlo je do samouravnavanja; bitka s prej potlačenimi nagoni, ki so silili na dan, se je pomirila in postala nepotrebna.«

24 - MAREC 2023 -
Starši zatirajo spolnost otrok, ne vedoč, da tako ravnajo po ukazu mehanizirane družbe.
Knjiga »Funkcija orgazma« je na voljo na Misteriji.si, cena je 26,90 €.

Božanska bitja in sveto rastlinje v naših krajih pred Rimljani (2)

Tana

Boginja Tana, ki je bila v obdobju pred starorimsko okupacijo dobro poznana po celotnem Balkanu in tudi v vzhodnejših delih naše dežele, je družica boga Vidasa, ki je bil preimenovan v Silvana. Tudi Tana ima podobne značilnosti; je zaščitnica gozda, neukročena mladenka, boginja lova, zato so jo Rimljani povezali z Diano.

Vsekakor je Tanin izvor daljnosežen, saj je zelo značilno ilirska, Iliri pa po DNK analizah spadajo v skupino E-V13, kar pomeni, da so avtohtoni prebivalci južnega dela Evrope. Izvorno naj bi prihajali iz Anatolije v današnji Turčiji, ki ima močno izražen kult Velike Boginje, in potem ustanovili minojsko kulturo, kulturo Vinča in druge.

TANA – DEVICA

Boginja Tana pa se kasneje razvija dalje in, kakor kaže, jo v mnogočem lahko povežemo z novejšo, slovansko Devano. Kult Devane je na Balkanu še zelo živ, njeno ime pa se v modernejših časih, v toponimih, prikazuje kot »devica«, Deva, tako da je po njej imenovanih tudi mnogo krajev, ki so očitno povezani z njenim čaščenjem skozi čas.

Tudi kasnejša Devana ali Dziewona, kakor ji pravijo Poljaki, je boginja lova, neukročena mladenka, obraz plodnostne boginje v pomladi, ki simbolizira mladostni aspekt in pričetek novega rodnega cikla, ki se vsako pomlad začne na novo. Devanin prostor je seveda gozd, ponavadi pa jo v

vizualnih prezentacijah srečujemo z jelenom, belo kobilo ali medvedom.

Tano so v starih časih imenovali tudi Zana, vsesplošno pa je bila ilirskim ljudstvom poznana tudi kot Gozdna mati, ki je bila povezana z več plodnostnimi kulti.

Koliko ima torej avtohtona ilirska boginja Tana, ki je, skupaj z Vidasom, izpričana tudi v skrajnem vzhodu dandanašnje Slovenije, skupnega z Devano, je z gotovostjo težko trditi. Zagotovo pa med staro in nato novejšo boginjo vseka-

kor najdemo neposredne vzporednice. Široke korenine na balkanskih tleh ima razvejane daleč v preteklost.

Gozdna mati kot boginja je bila skozi čas potisnjena zgolj na raven demonov narave. A tudi ta preživeli demon je povezan z gozdom, plodnostjo, lovom, nosi vlogo zaščitnice nosečnic in otrok, obenem pa so verjeli, da Gozdna mati prinaša tudi bolezni, kjer jo v teh nalogah povežemo z etruščansko Thalno. Thalna v plodnostnem smislu bolj ali manj bdi nad porodnicami in rojstvi otrok, je zaščitnica prijateljskih vezi in vedeževanja.

Vemo pa, da ima tako kulturni kot duhovni razvoj na tleh današnje severne Italije in Slovenije ter dela Balkana veliko podobnosti tudi z etruščanskimi kulturnimi prvinami.

Kult Vidasa in Tane je povezan s čaščenjem gozda in vodnih izvirov, v reliefih zaznamo ples kolo, kjer se ženske figure držijo za roke. Nekateri jih imenujejo kar nimfe, lahko pa gre zgolj za prikaz nekdanjega obredja.

LUČNIK

Lučnik simbolizira premoč nad smrtjo, tako kot Tana. Predvsem čaj iz cvetov lučnika pomaga v izločanju sluzi v dihalih in zavaruje poškodovano sluznico. Čaj se uporablja za vnetne bolezni dihal, hripavost, kašelj, bronhialni katar, bronhitis.

Irena Petrič 

(Vir: »Božanskost železne dobe in sveto rastlinje v naših krajih«, Klub Veles)

SLOVENSKA ZGODOVINA
Tana je bila ilirskim ljudstvom poznana tudi kot Gozdna mati, povezana z več plodnostnimi kulti.
Ilustracija
- MAREC 2023 - Misteriji 25
Irena Petrič

Strokovnjak komentira fotografije svetlobnih pojavov naših bralcev

Orbi ob žerjavici

Bralka Cvetka S. nam je poslala zanimive fotografije svetlobnih pojavov, ki jih je posnela na hoji po žerjavici. O posnetkih smo za komentar povprašali strokovnjaka za svetlobne pojave Mirana Komela (komel.miran@gmail.com).

Na poslanih fotografijah bi morda lahko bil na tretji fotografiji v ospredju prepoznan orb, se pravi svetlobna ali energijska krogla. Žal fotografija ni posneta v taki ostrini, da bi se iz povečave to lahko tudi neposredno izkazalo oziroma potrdilo.

Na fotografijah je opaziti tudi veliko svetlečih delcev, ki na prvi pogled

spominjajo na orbe v gibanju. Ti raznovrstni delci oziroma ogorki z različno temperaturno vrednostjo so v večini produkt izgorevanja različnih snovi, njihovi efekti pa so na fotografijah,

zlasti ob sočasni uporabi bliskavice, še posebej izraziti.

Kot je razvidno iz fotografij, so bile posnete v deževnem vremenu. Tukaj bi poudaril, da deževne kaplje – v nočnem času pa povsem izrazito z uporabo bliskavice – pri odboju močnega svetlobnega vira ustvarjajo navidezen efekt orbov.

Moram pa reči, da ni nenavadno, da se na duhovnih srečanjih, kjer je prisotna pozitivna energija, kar hoja po žerjavici nedvomno tudi je, ponavadi pojavljajo orbi v večjem ali manjšem številu.

Miran Komel 
26 - MAREC 2023SVETLOBNI POJAVI
Ni nenavadno, da se na duhovnih srečanjih, kjer je prisotna pozitivna energija, kot je hoja po žerjavici, ponavadi pojavljajo orbi v večjem ali manjšem številu.

Združila je več kot tri tisoč petsto parov

Pustite si najti ljubezen

Vbazi MATCHMe.si je že več kot petindvajset tisoč ljudi – samskih, od dvajset pa vse do petinsedemdeset let. So iz Slovenije, tudi iz tujine. Agencijo za stike med ljudmi, ki si tega želijo, je ustvarila mag. Ninka Slapnik. Od leta 2010 je pomagala združiti več kot tri tisoč petsto parov, prek MATCHMe.si pa je posredovala že dobrih tri tisoč kontaktov.

Kakšen je bil vaš notranji vzgib, da ste začeli pomagati ljudem pri medsebojnem spoznavanju?

Moji začetki povezovanja samskih – in s tem pomoč do bližnjega – segajo čisto na začetek mojega otroštva. Od čisto majhnega dojenčka in vse do treh let sem bila zaradi veliko pljučnic namreč ogromno po bolnicah; enkrat so že skoraj obupali in celo rekli, naj se pripravimo na vse …

Takrat starši z otroki še niso smeli biti v bolnici več kot eno uro na dan, zato sem bila veliko sama, pogrešala sem domače. Šele zdaj, ko sem tudi sama postala mama, vem, kako težko je to moralo biti za tako majhnega otroka. In takrat, pravi moja mama, sem naredila vse, da sebi in drugim nekako olajšam stisko. Skupaj sem spravila vse medicinske sestre in zdravnike, da so se z mano na hodniku igrali nogomet, in že kot dvoletnica sem skrbela za druge otročke v bolnici, vsakemu pripravila stekleničko za piti … Mami še vedno reče, da se je že takrat videlo, da sem znala povezovati ljudi, da ni bilo občutiti take stiske, da sem

najdeš

s

se

bila borka in da sem imela močno razvit čut za skrb za druge. Kako med seboj spoznavate možne partnerje?

V času covida sem oblikovala novo blagovno znamko MATCHMe.si, ki je agencija za personalizirano iskanje ujemajočih se oseb. Že od leta 2010 pa povezujem samske prek blagovne znamke »Dogodki za samske«, kjer organiziram dogodke in potovanja za samske, sedaj pa združujem tudi izključno ujemajoče se osebe prek MATCHMe.

si. Gre za personalizirano profiliranje vseh prijavljenih glede na ujemajočo starost, višino, tip postave, izobrazbo, regijo, informacijo o otrocih, navade glede prehrane, kajenja in alkohola, glede na veroizpoved, horoskop, hobije, značajske lastnosti, vrednote, tip osebnosti in jezik ljubezni.

Ujemanja iščem na tri različne načine: MATCH je mesečno posredovanje kontaktov; VIP STIKI je personalizirano iskanje; PREMIUM STIKI pa je celostna storitev.

Poleg tega pri MATCHMe.si ponujam še veliko dodatnih storitev, ki so zanimive za samske, recimo profesionalno fotografiranje, ličenje, osebno stilsko svetovanje, astrološko svetovanje, najem plesalca, organiziran dogodek, poskusni zmenek, akcijski načrt za zmenke, kavica z Ninko in drugo. Ponujam tudi e-tečaje, namenjene samskim.

Po kakšni »formuli« nekomu izberete morebitnega partnerja?

Del vprašalnika je sistemski, del opisni. Bolj napreden ko je način iskanja, več stvari se upošteva pri osebah, ki se ujemajo. Posredujemo le stike med osebami, ki se med seboj ujemajo glede na prej omenjene osebne podatke.

Na koncu pa menda le odloči »kemija« med dvema?

Da. Naše iskanje je filter, zelo dobro sito, skozi katerega lahko samski dobijo podatke za res kakovostno ujemanje – dober MATCH. Energijo med dvema pa seveda lahko začutita le dva v živo.

- MAREC 2023 - Misteriji 27
»Da pa kasneje v življenju
ODNOSI
osebo,
katero
ujemaš v vseh važnih vidikih življenja, je nekaj najlepšega, kar se ti lahko zgodi.«
T.
Mag. Ninka Slapnik; njena agencija je dostopna prek spletne strani Matchme.si.
Foto
Svete

Kakšna je vaša drugačnost, prednost pred podobnimi ponudniki?

To, da svoje delo občutim kot poslanstvo, da me to izpolnjuje. Da sem temu res predana. Da mi je mar za ljudi. Ne vidim le posla in številk; pomembno mi je, kako se nekdo počuti in kaj si želi. Samski pravijo, da mi lahko zaupajo in občutijo, da delam s srcem.

Spoznavanje, ki ga omogočite strankam, je tudi varno, saj jih obvarujete pred spletnimi prevaranti, ki se znajdejo na neplačljivih straneh za spoznavanje, kjer se ljudje vedejo bolj neodgovorno. Bi se strinjali?

Ja, vsekakor. Vsak, ki se prijavi, se zaveže iskrenosti in se razkrije z vsemi svojimi podatki ter izkušnjami in željami na področju partnerstva. Vse to skrbno hranim na varnem, vse dokler mi ne dajo dovoljenja, da lahko njihov profil pokažem njihovim ujemajočim se osebam, da jih povežem med seboj.

Na spletu pa tega vmesnega koraka ni. Ni vmesne osebe, ki bi povezovala ljudi, ni dodatnega preverjanja, osebnega sodelovanja s posamezniki. Ne rečem, da je splet slab, veliko lepih zgodb se lahko oblikuje tudi prek spletnih aplikacij. A je tam veliko zavajanja, lažnih profilov in ljudje si tam tudi veliko več upajo, saj so navidezno varni. V MATCHMe.si pa so samski, ki so kultivirani, resnicoljubni, iskreni. In ker za kontakt

plačajo, so najbrž tudi obojestransko veliko bolj resni v svojem namenu.

Kje imamo največ težav pri zbliževanju?

Najprej že takoj na začetku – pri prvem stiku. A to velja bolj za spletne aplikacije, kjer moški zasipajo ženske s sporočili, te pa potem niti ne odgovarjajo, ker je preveč izbire. Hkrati je prisotne veliko nepismenosti in nevljudnih, nespoštljivih povabil. Ženske takih moških ne želijo blizu. In tu se zgodbe hitro končajo. Pri nas je drugače. Kako do zmenka, svetujemo moškim in ženskam, koliko časa imajo za prvi stik, koliko časa, da se srečajo v živo. Veljajo pravila, bonton spoznavanja, ki ga našim strankam priporočamo ob vsakem stiku.

Izziv za spoznavanje je tudi preobremenjenost s časom; ljudje so zaposleni cele dneve in imajo malo časa za spoznavanje novih ljudi. In zato smo tukaj mi, ki z veseljem pomagamo iskati le tiste ljudi, s katerimi se ujemaš. Torej optimiziramo čas, energijo in denar vsakomur, ki si želi spoznati primerne osebe zase.

In seveda to, da imajo ljudje slabe izkušnje s

prejšnjimi odnosi, da so razočarani … A vseeno še vedno verjamejo v ljubezen. In ko kdaj koga zalotim, da je že čisto obupal nad njo, mu hitro vlijem upanje, da razpre krila in spremeni svoje razmišljanje v pozitivno smer.

Bi rekli, da so naši partnerski odnosi kakovostni?

Žal slišim premnogo zgodb, kako se pari in družine razidejo. A če so bili ljudje v odnosu nesrečni, čeprav so skušali odnos rešiti, in so tako bolj zadovoljni, je to najbrž že prava pot zanje. Na srečo imamo danes na temo psihologije odnosov ogromno knjig, predavanj, delavnic, člankov, podkastov in drugega, kar nam vse lahko pomaga pri vzpostavljanju boljših odnosov. Del dogodkov, ki jih organiziramo prek Dogodkov za samske, so predavanja in delavnice o psihologiji odnosov in osebne rasti. To znanje je izredno pomembno za vse nas, če želimo graditi lepe odnose.

Je pa res, da je treba imeti v življenju na tem področju tudi malo sreče. Najbrž je kaj zapisano tudi v zvezdah. Že to, da se rodiš v okolje, kjer imaš v odraslih zgled lepega partnerstva, je pravi zaklad. Da pa kasneje v življenju najdeš svoj MATCH – osebo, s katero se ujemaš v vseh pomembnih vidikih življenja, in da si s to osebo pripravljen graditi odnos, pa je nekaj najlepšega, kar se ti lahko zgodi.

ediščino Nikole Tesle – velikana znanosti, slavnega inovatorja in verjetno tudi največjega električnega inženirja vseh časov – najdemo prav v vsaki sodobni električni napravi. Ponaša se z več kot tisoč dvesto odkritji in izumi. Kot oče izmeničnega električnega toka je postavil temelje tehniške in znanstvene velemoči kot tudi industrijskega in gospodarskega razvoja ter mu dal nesluten pospešek,« pravi Ljubo Kogoj, ki bibliografijo dela in življenja Nikole Tesle (1856–1943) proučuje že petintrideset let.

Kako pomembna je elektroenergetska infrastruktura, ki povezuje proizvodnjo, prenos in distribucijo v sistem, ki ne dopušča prekinitev, naš sogovornik dobro ve, saj je bil do upokojitve zaposlen v tolminski enoti delniške družbe Elektro Primorske, v prostem času pa je neutrudno raziskoval izključno Teslovo življenjsko delo elektrotehnike.

»Preskrba z električno energijo spada med osnovne elemente družbenega napredka, zato je najdragocenejša globalna blagovna znamka, brez katere bi padli v stanje starega Rima, petrolejk in sveč,« poudarja.

Je res, da Teslovo dediščino, izmenični električni tok, najdemo v vsaki sodobni napravi?

Da. Tudi v razsvetljavi in tudi v 400 kV elektro prenosni mreži pod njegovim imenom, ki povezuje republike nekda-

28 - MAREC 2023 -
Pustite si najti ljubeZen breZ tesle bi bili v temi
Tatjana Svete 
»V MATCHMe. si so samski, ki so kultivirani, resnicoljubni, iskreni in resni.«
»D

Elektrika napaja svet brez potrebe po premogu, nafti ali drugem gorivu

Brez Tesle bi bili v temi

nje Jugoslavije. Izmenični električni tok je največji perpetuum mobile enaindvajsetega stoletja, Nikola Tesla pa ostaja največji izumitelj za tretje tisočletje.

Brez Teslovih odkritij in izumov, ki so bili podlaga za uvedbo izmeničnega električnega toka, bi bil torej danes svet v temi na vseh ravneh …

Če pomislimo, kakšen bi bil današnji svet brez elektrike, radia, televizije, interneta, radarjev, rentgenskih aparatov in tudi pripomočkov v stomatološki medicini, lahko trdimo, da je vsak električni drog, ki pomeni prenosno pot izmeničnemu električnemu toku do oddaljenih mest in vasi po vsej Zemlji, v resnici spomenik Tesli.

Brez izmeničnega električnega toka oziroma električnega toka, ki mu lahko periodično spreminjamo smer, ga lahko transformiramo na visoke napetosti in prenašamo na velike razdalje, bi bila mesta in vasi v temi. Ustavili bi se vlaki in obstali električni avtomobili. Izmenični električni tok je še danes osrednji predmet dejavnosti za zagotavljanje zanesljive, kakovostne in varne oskrbe odjemalcev, kar zahteva nenehno spremljanje in sledenje novostim elektrotehniške stroke. Izmenični

električni tok je navzoč v proizvodnji, prenosu in distribuciji ter ima poleg energetike vpliv tudi na številna druga področja, kot so telekomunikacije, daljinsko upravljanje, robotika, avtomatika in digitalna tehnika.

Zakaj je izmenični električni tok najdragocenejša globalna blagovna znamka?

Izmenični električni tok je prisoten v visokih, srednjih in nizkonapetostnih mrežah in je najdragocenejša globalna blagovna znamka. Ta je po raziskavah ameriške akade-

mije tehniških znanosti omogočila največji tehniški dosežek človeštva v dvajsetem stoletju, to je globalno povezanost elektroenergetskega sistema. Oblika izmenično večfaznega električnega toka je zmagala tudi v tehnološkem spopadu med izmeničnim in enosmernim električnim tokom v letih 1888 do 1895, saj se je zaradi možnosti široke uporabe izkazala za najprimernejšo. Kot je mogoče razbrati iz arhivov, se je Tesla tudi popolnoma zavedal, da je odgovoren za nastanek dobe elektrike in da je z odkritjem vrtilnega magnetnega polja, kot osnove za razvoj izmeničnega električnega toka, elektrika postala geografsko neodvisna. In kot takšna naj bi ljudi pripravljala na novo vesoljsko obdobje. Osnovna načela izmeničnega električnega toka so prisotna tudi v današnjih računalniških omrežjih in napravah, saj nekje v njihovi bližini vedno brni nek transformator, ki spada med enega od večjih Teslovih izumov.

Tesla je že davno predvidel tudi brezžični prenos energije na daljavo …

Bil je prvi, ki je že leta 1899 v Colorado Springsu v ZDA v poskusih z umetnimi bliski predvidel in praktično dokazal globalnost elektromagne- Razsvetljeno

NIKOLA TESLA
Tesla je dejal, da bo najpomembnejši dan v zgodovini človeštva, ko bomo točno
- MAREC 2023 - Misteriji 29
izvedeli, kaj je elektrika.
Foto NASA
Zemljo ponoči je omogočil Teslov izum izmeničnega električnega toka.

tne resonance ter možnost brezžičnega prenosa energije na daljavo. Dejal je, da je elektrika vseprisotna v neomejenih količinah in lahko napaja svet brez potrebe po premogu, nafti ali katerem koli drugem gorivu. Predvidel in opisal je tudi vse alternativne vire energije, ki danes postajajo življenjska nuja, s tem pa obrnil novo stran v znanosti in tehniki.

Kaj pa so rodile njegove raziskave ionosfere?

Proti ionosferi je usmeril električni impulz, ki je v Schumannovi votlini obkrožil Zemljo s hitrostjo 475.000 kilometrov v sekundi. On je odkril, da je resonančna frekvenca Zemlje 8 Hz in da je ta frekvenca v območju Schumannove resonance. Votlina je sicer dobila ime nekaj desetletij pozneje po nemškem fiziku Winfriedu Ottu Schumannu (1888–1974), ki je pojav globalne elektromagnetne resonance matematično predvidel šele leta 1952, torej več kot pol stoletja za Teslo.

Odkritje, da zemeljska površina, ionosfera in atmosfera skupaj tvorijo gigantski elektromagnetni resonator okrog Zemlje, ga je preplavila z mislijo, da je to tako, kot če bi stvarnik ta planet zasnoval električno. Dejal je tudi, da bo najpomembnejši dan v zgodovini človeštva, ko bomo točno izvedeli, kaj je elektrika.

Zanimivo je tudi, kako je prišel do zamisli za radijske valove …

Do zamisli za radijske valove, nepogrešljive tudi v mobilni telefoniji, je prišel, ko je zaznal misli svoje umirajoče matere v Liki, ki ga je pred smrtjo hotela še enkrat videti. Odpravil se je na dolgo pot iz Amerike in mater še pravočasno obiskal. Takrat naj bi pomislil: Če lahko okrog

oddajnik, ki spremeni sliko v elektromagnetne valove, sprejemnik teh valov in pretvornik, ki valove spremeni nazaj v zvok in sliko.

Bil pa je veliko več kot le izumitelj in ustvarjalec novih naprav …

Njegova dognanja so tako globoka in vizionarska, da še vedno napajajo znanstveno fantastiko. Odprl je pogled v nova znanstvena področja, ki še zdaj niso povsem raziskana. Živel in delal je za to, da bi prinesel svetu mir. Njegov poglavitni cilj je bil sneti breme s človeških ramen in človeštvu zagotoviti novo dobo miru, svobode in obilice sreče. Žal so bila njegova odkritja in izumi zlorabljeni za umetno ustvarjanje pomanjkanja, zatiranja in uničevalnih vojn.

Naj o vlogi in pomenu Nikole Tesle za razvoj človeštva uporabim eno izmed njegovih misli: »Človek ni nikdar bolj človek kot takrat, ko svoje znanje pridno zbira, kot čebela med v panju, in ga skuša uporabiti za reševanje problemov človeštva.«

ne subtilne in tankočutne pojave, bo v desetih letih napredovala več kot v vseh stoletjih svoje zgodovine.« Na vprašanje, v katero smer naj gre razvoj znanosti, je odgovoril: »Proučujte oscilacije, nihanja in vibracije vse tja do visokih stopenj.«

Knjiga »Nikola Tesla – izumitelj za tretje tisočletje« (Misteriji.si; 19,90 €) nam daje popolnejši vpogled v Teslove izume.

Zemlje potujejo misli, lahko tudi drugi valovi! Na podobnem principu potovanja elektromagnetnih valov danes deluje tudi prenos radijskih valov in televizijske slike po vsem svetu. Imeti moramo le

Svojih načrtov ni mogel v celoti uresničiti, ker je živel pred časom, je pa dal namig prihodnjim rodovom znanstvenikov …

Dejal je: »Ko bo znanost začela proučevati nefizikal-

Danes vemo, da je vse, kar obstaja, samo različna vrsta energije, vibracij in nihanja s svojo lastno frekvenco. Prav zato je v zapletenem naravnem ekološkem sistemu vse med seboj povezano in vsaka življenjska oblika potrebna, zato ni večvrednih, manjvrednih ali ničvrednih, pomembnih ali nepomembnih, ampak smo kot človeška rasa ali vrsta v sožitju z naravo vsi enako pomembni. Za zdaj so to še skrivnostne energije, ki pa jih je, kot je dejal Tesla, treba raziskati in razumeti, namesto da si pred njimi zatiskamo oči.

30 - MAREC 2023breZ tesle bi bili v temi
Do zamisli za radijske valove je prišel, ko je zaznal misli svoje umirajoče matere v Liki, ki ga je pred smrtjo hotela še enkrat videti.
Ljubo Kogoj: »Preskrba z električno energijo je najdragocenejša globalna blagovna znamka.« Foto T. Svete

Vsak človek je glasbeni inštrument, ki niha v razponu kozmičnih vibracij

Zdravljenje z zvokom

Vsak človek, vsako bitje je glasbeni inštrument, ki niha v razponu kozmičnih vibracij. Z uporabo zvokov, glasbe in lastnega glasu lahko uravnovešamo sebe in druge, čemur pravimo tudi zdravljenje. O tem govori knjiga Kako zdravimo z zvokom, iz katere povzemamo ta članek. Knjiga vsebuje tudi številne praktične metode za delo z zvokom, ki so preproste, vsakomur dosegljive in tudi zabavne.

Nekatere od njih so odkrivanje lastnega naravnega glasu, usmerjeno intoniranje samoglasnikov, zdravilno mrmranje in petje, zdravljenje z zvokom in kristali, uporaba tibetanskih in drugih glasbil za uglaševanje telesa in duha, skupinsko zdravljenje s svetim zvokom, uporaba manter in molitev za dviganje zavesti, magično pripovedovanje zgodb, ustvarjanje in uporabljanje magične poezije, glasbena astrologija …

Naše telo razločuje med dobrodejnimi in škodljivimi zvoki in se temu primerno odziva. Ti odzivi vplivajo na naša fizična, čustvena, mentalna in duhovna stanja. Na žalost večina ljudi teh vplivov ne prepozna, dokler ne pride do telesne reakcije.

ZVOK JE VIR ENERGIJE

Zvok kot vir energije lahko uporabljamo za součinkovanje z drugimi energijami. Z glasbo, glasom ali kako drugače proizveden zvok je učinkovito orodje, s katerim je mogoče spreminjati elektromagnetna polja in impulze v človeku in okolju. To pomeni, da lahko ob neravnovesju elektromagnetnih parametrov v človekovem telesu – ki se kaže kot

Z

moteno delovanje določenega telesnega organa ali sistema – uporabimo zvok v eni izmed njegovih oblik ali kombinacij ter tako obnovimo homeostazo, olajšamo bolečine ali pospešimo zdravljenje.

Zvok kot vir energije je tudi orodje za spreminjanje zavesti. Ker lahko spremi-

nja vzorce možganskih valov, ga uporabljamo za koncentracijo, sproščanje, učenje, ustvarjalnost ter povišano zavedanje duševnih in duhovnih stanj.

VIŠINA TONA

Za pravi učinek zvoka v kateri koli obliki moramo upoštevati tudi višino tona. Višino posameznega zvoka določa hitrost, s katero vibrira. Če so zvočni valovi hitrejši, je ton višji. Ko torej zvišamo lastne fizične in duhovne energijske ravni, se odpremo za boljše zdravje. Če s tem prehitevamo, si lahko škodimo, kakor se lahko poškodujemo, če brez priprav pretiravamo s telesnimi vajami.

Višina zvoka nam veliko pove o človekovi razvitosti. Nizki toni potujejo okoli predmetov, zato nas na mestih, kjer kakšen bend igra v živo, zvoki tolkal in basovskih inštrumentov spremljajo še dolgo po tem, ko to mesto zapustimo. Nizki toni gredo okoli vogalov in vrat. To je pot najmanjšega odpora. Visoki toni so bolj fokusirani. Včasih se zaradi absorpcije ali resonance visokih vibracij razbijejo stare oblike. Nazoren primer je kristalni kozarec, ki se razpoči, ko nekdo zapoje ton s pravo višino. Isto načelo povzroči vidno spremembo v človeku, ki sreča osebo z energijskim poljem visoke intenzitete. To lahko razbije njegove stare navade in načine razmišljanja, v dobrem ali slabem smislu.

S pravilno izbranimi višinami tonov lahko razbijemo toge energijske vzorce, ki omejujejo našo rast, zavedanje in zdravje. To se lahko primeri med zdravilno krizo, ko človek začne drugače razmišljati ali se celo odloči za povsem novo življenjsko usmeritev.

- MAREC 2023 - Misteriji 31
ZVOČNE TERAPIJE
intoniranjem samoglasnikov, mantrami in glasbili pospešimo svoj razvoj in zdravljenje.
Knjigo dobite na Misteriji.si in 051/307 777.

LASTNA TONSKA VIŠINA

Ljudje oddajamo energijo, v čemer smo podobni ventilatorju, ki oddaja zrak. Nekateri okoli sebe oddajajo nežen in šibek »zrak«, skozi katerega lahko prodre že majhen zunanji vpliv ter vpliva nanje. Drugi pa okoli sebe širijo zelo močno ozračje, ki ga je skoraj nemogoče predreti in se, če je potrebno, lahko naravna na nižje, manj intenzivne vrednosti.

Vsakdo ima svojo lastno naravno višino, obstaja pa tudi univerzalna vibracijska višina. To je idealna vibracija. Z njeno pomočjo naposled vzpostavimo resonanco z božansko energijo. Univerzalna vibracija vzpostavi harmonijo z vsemi življenjskimi ritmi. Z določenimi višinami glasbil in glasov lažje vzdržujemo svojo lastno naravno višino in se hkrati povezujemo z univerzalno višino.

Kako lahko takoj določimo svojo naravno tonsko višino? To lahko storimo na različne načine. Ena najlažjih metod je ugotavljanje lastne vokalne višine. Za to potrebujemo klavir ali kak drug inštrument z več oktavami obsega. Poiščimo najvišjo noto, ki jo še lahko zapojemo, preden nam glas odpove. Nato po-

iščimo še najnižjo noto. Ton, ki je točno na sredini med najvišjo in najnižjo noto, je višina, ki jo sedaj največ uporabljamo. Ko nekaj časa izvajamo to metodo, preverimo višino svojega glasu. Ugotovili bomo, da se obseg našega glasu povečuje, kar je čudovit pokazatelj rasti.

Ton na sredini našega glasovnega obsega je naša nova najmočnejša resonančna višina. S pomočjo svoje osebne višine – z intoniranjem samoglasnikov, mantrami in glasbili – pospešimo svoj razvoj in zdravljenje.

BARVA ZVOKA

Da bi dosegli pravi učinek zvoka v poljubni obliki, moramo upoštevati tudi njegovo barvo. Barvo zvoka določajo njegova kvaliteta, njegove posebne značilnosti in njegov vpliv. Barva nam pomaga razlikovati vse zvoke. Z njo opredelimo različne zvoke, glasove in glasbila. Vsak zvok in inštrument ima svoj lasten značaj, po katerem se razlikuje od vseh ostalih.

Največji učinek na človeka imata barva in višina zvoka. Barva zvoka sproži konsonančen ali disonančen odziv. Ta izraza se nanašata na energijsko zaznavanje zunanjih dražljajev in preobrazb, ki jih ti dražljaji sprožajo v nas.

Kadar barva različnih zvokov, govorjenih ali ne, v nas sproži konsonančen odziv, razvijemo pozitiven odnos. Telesne celice prepoznajo za nas dobre zvoke in se odzivajo skladno s tem. Škripajoča barva zvoka nohtov na šolski tabli je odbijajoča in mučna za živčni sistem, medtem ko barva bambusove piščali deluje pomirjajoče.

Z obvladovanjem barve zvoka lastnega glasu po želji ustvarjamo konsonanco ali disonanco. Večina ljudi to počne spontano. Če želimo, da nas drugi pustijo pri miru, privzamemo ton glasu, ki je grob in neprijetno rezek, s čimer druge odženemo od sebe. Če želimo biti prijateljski, pa privzamemo nežen, blag in lahkoten ton.

Z vajo se lahko naučimo ustvarjati fiziološke in duhovne spremembe pri sebi in drugih z menjavanjem barve zvoka našega govora ter z uporabo barve zvoka različnih glasbil.

17,15 €

REDNA CENA: 24,50 €

NAROČILA: 01/ 542 5004 ali

32 - MAREC 2023 -
Zdravljenje
R. M. 
Zvok kot vir energije je tudi orodje za spreminjanje zavesti.
vezava 176 strani
- 30 % trda
ODLIČNE JEDI ZA VAŠ KRVNI SLADKOR!
Misterij_kuharuca.indd 1 27. 06. 2022 10:13:50
revija.dita@siol.net

V Sloveniji

Tu so pametna bitja iz vesolja

Spomladi bo v Sloveniji potekalo srečanje s člani Inštituta Dakila, kmalu pa bo za Slovence organizirano tudi potovanje v Brazilijo, kjer se bodo lahko na lastne oči prepričali, ali gre za legendo ali resnico – da amazonski deževni pragozd skriva izgubljeno mesto najstarejše civilizacije Murilov, ki so prišli na Zemljo pred 450 milijoni let.

Obstoj te nekdanje domnevne prestolnice sveta, ki skriva veliko bogastvo in posebne tehnologije, pomembne za razvoj človeštva, po trditvah raziskovalnega inštituta Dakila dokazujejo posnetki iz zraka, ki prikazujejo simetrične ravne črte in kvadrate sredi gozda. Odkrili so tudi številne podzemne galerije, skrivne predore in rove ter zlate, kovinske in keramične artefakte. Inštitut Dakila ima svoj sedež v brazilski pokrajini Corguinho v Ziguratsu, futurističnem mestu s piramido v središču, ki jo še gradijo in naj bi spodbudila transmutacijo človeštva.

OKOSTJA RASE, VISOKE

DVANAJST METROV

Inštitut Dakila je pred tridesetimi leti ustanovil brazilski znanstvenik Urandir Fernandes de Oliveira, ki trdi, da ga je devetinštirideset ras izbralo, da začne z bujenjem več tisoč »svetlobnih bitij« na Zemlji. Da se združijo ter človeštvu zagotovijo znanje in tehnologijo, ki bo omogočila nujne spremembe sistema, v katerem živimo sedaj.

Devetinštirideset ras je Oliveiri razkrilo tudi skrivnost o mestu sredi Amazonije, ki naj bi bila prva gradnja na Zemlji, stara nekaj milijonov let. Prestolnico Ratanabá je zgradila civilizacija Muril, ki naj

bi prva naselila Zemljo in zgradila ogromen kompleks mest, ki so po vsej Zemlji. Vsaj sedem ogromnih mest naj bi še bilo na različnih koncih sveta. Raziskovalci Inštituta Dakila so po napotkih zbrali veliko artefaktov, ki so potrdili, kar so jim povedale rase. Ko so o svojih izsledkih želeli obvestiti širšo svetovno javnost, pa so jim brazilska vlada in mednarodne inštitucije to preprečili.

Pravilen pristop do teh mest poznajo samo znanstveniki Dakile in sam Oliveira. Pod površjem amazonske džungle so prostorni predori, po katerih se lahko pelješ s hitrostjo tristo kilometrov na

uro. Našli so 64 jam in 32 okostij ras, visokih deset do dvanajst metrov. To dokazuje, da so bile na Zemlji tudi druge rase, še posebej Anunaki. Mnogi arheološki dokazi, ki postavljajo pod vprašaj velik del uradne zgodovine, zdaj prihajajo na dan v obliki fotografij, videov in dokumentarnih filmov. Predstavniki inštituta Dakila menijo, da to razkritje ne more več čakati in da nam bo znanje, ki ga posreduje človeštvu devetinštirideset ras, vrnilo pravo moč in nas osvobodilo suženjstva.

SREČANJA

S SVETLOBNIMI BITJI

Decembra lani je bilo v Sloveniji že prvo srečanje z dvema članoma Inštituta Dakila, Lucianom in Lariso. Luciano je pojasnil, da vsa srečanja z brati iz vesolja, drugih galaksij in dimenzij, vedno potekajo v fizični obliki.

bodo gradili piramido po vesoljskih načrtih
- MAREC 2023 - Misteriji 33
S pomočjo te piramide naj bi delovale vse druge piramide po svetu, ki so zdaj mrtve ali pa šibko delujejo.
PIRAMIDE, DVIGANJE ZAVESTI
Foto
Obstoj nekdanje prestolnice sveta dokazujejo posnetki iz zraka.
splet

so Pametna bitja iZ vesolja

»Predstavijo se z bleščečo lučjo, ki eksplodira brez zvoka. Nato zaslišimo zvok, kot bi se nekaj trgalo pred nami. Ta zvok naši možgani zaznavajo kot neprijeten, dokler se ga ne privadimo. Potem pričnejo govoriti z nami. Po njihovi želji in naročilu smo posneli vsa dosedanja srečanja na video ali vsaj zvočno. Teh informacij je ogromno in nobene ne smemo pozabiti. Že pred dvajsetimi leti so nam podali informacije o dogajanjih, ki jih spremljamo sedaj. Teh devetinštirideset ras so najmočnejša skupina bitij v vesolju, takoj za Najvišjim. Srečali smo se z vrsto teh bitij, ki imajo nalogo, da pridejo na Zemljo. To nalogo so dobili kot svoje poslanstvo. Srečali smo se z energijskimi bitji, ki bi jih videla večina od vas. Zaznali bi jih kot blisk ali svetlobo, ki jo ujame periferni vid. Ta inteligentna bitja iz vesolja so povsem na tekočem z vsem in vsakomer na tem planetu! So izjemno inteligentna in prijazna, dobrosrčna. In vsa delijo enake informacije. Mnogi od nas smo zmožni komunicirati z njimi. Slišimo jih in lahko posredujemo informacije naprej.«

JE ZEMLJA KONVEKSNA?

Inštitut Dakila je na spletu objavil dokumentarec Ukrivljena Zemlja (Convex Earth), ki z več kot sto znanstvenimi metodami dokazuje, da je Zemlja ravna na območju voda in ukrivljena tam, kjer so gore, ter da jo obdaja okoli petindvajset metrov visok leden zid. Povzemamo:

»Zemlja je gromozanska, velikanska platforma, rečemo ji Sistem Zemlja. Solarni sistem, o katerem so nas učili, sploh ne obstaja. Obstaja sistem Zemlja s Soncem, Luno, ki sta v ›vesolju‹, vendar precej bližje, kot so nam povedali. Okrog nas si lahko predstavljate prstane. V sredini smo mi, ki trenutno vibriramo na 3D, okrog pa je še devet prstanov, ki so naseljeni z drugimi rasami. Zato jim rečemo sosedje, saj so v bližini, le da so na drugih prstanih in dimenzijah. Vse to je bilo človeštvu prikrito. Od sto omenjenih metod

smo jih nesporno dokazali sedem in posneli film, ki smo ga prikazovali v kinodvoranah po Braziliji. Po predvajanju filma smo ponudili nagrado pet milijonov brazilskih realov (milijon evrov). Nihče do danes ni dokazal nasprotno.«

Zdaj pripravljajo nov dokumentarec Anomalije zvezd (The Anomaly of the Stars). Zatrjujejo, da bomo s pomočjo nam dostopne tehnologije lahko videli nebo takšno, kot je v resnici; globoko v nebo, ne pa takšnega, kot nam ga prikazujejo posnetki vesoljskih agencij.

POTOVANJE V MESTO ZIGURATS

Inštitut Dakila je že začel z gradnjo mesta Zigurats, ki je v središču južnoameriške magnetne anomalije – nekak-

šnega brazilskega Bermudskega trikotnika, kjer letala ne letijo. Mesto gradijo po parametrih univerzalne matematike. V njem so hiše okrogle oblike z vgrajeno tehnologijo, ki so odporne na vse zunanje vplive, od vetra do potresov. V središču mesta že gradijo piramido, ki bo visoka in široka 63 metrov ter globoka 9 metrov. Na vrhu bo postavljen velik kristal z zlato kupolo. Predvidoma bo zgrajena v roku enega leta.

S pomočjo te piramide naj bi delovale vse druge piramide po svetu, ki so zdaj mrtve ali pa šibko delujejo. S tem se bodo začele redčiti težke, temne energije na svetu, ljudje pa naj bi končno spregledali in se osvobodili. Piramida bo spodbudila delovanje 123-ih novih tehnologij, ki bodo pomagale ljudem pri evoluciji, ki se ravnokar odvija, in dvignile vibracije, s tem pa tudi zavest. To so regeneracija odstranjenih delov telesa, teleportacija, izkoriščanje proste energije, pospešitev delovanja uma, transmutacija ... Možno bo doseči popolno zdravje, se pomladiti, podaljšati življenje, popraviti celice in okvarjene gene. Naša telesa bodo zahtevala več svetlobe in počasi bomo postali manj fizični. Starost, bolezen in smrt ne bodo več nujni, saj naj bi to bilo nasprotje evolucije.

Mesto Zigurats bo služilo kot model za podobna mesta na svetu. Te piramide bodo gradili tudi drugje po svetu. Za naslednjo je že dogovorjeno, da jo bodo gradili v Sloveniji, nam je zaupal Andrej Sekirnik iz Rogaške Slatine, predstavnik inštituta Dakila v Sloveniji.

Inštitut Dakila načrtuje ponoven obisk v Sloveniji spomladi. Na delavnicah bodo učili, kako se lahko povežemo z devetinštiridesetimi rasami ter z njihovim znanjem pospešimo razvoj in izkusimo zdravje, ljubezen, napredek, blaginjo … Več si lahko preberete na spletni strani www.dakila.si

34 - MAREC 2023 -
tu
Andreja
V središču mesta že gradijo piramido, ki naj bi bila končana v roku enega leta.
»Piramida v Ziguratsu bo spodbudila transmutacijo človeštva.«
Foto splet

Vulkanski kamen vsrka snovi, ki nas ogrožajo, in jih odplakne iz telesa

Zeolit razstruplja in pomlajuje

Marca že diši po pomladi, torej je že čas za pomladno razstrupljanje telesa. Pozimi jemo več mastne in težje prebavljive hrane, gibljemo pa se manj, zato se v telesu kopičijo obremenjujoče snovi. Vse več ljudi za čiščenje telesa uporablja zeolit, kamen vulkanskega izvora. Ta zlahka vsrka težke kovine, rakotvorne in radioaktivne snovi, herbicide, pesticide, ostanke zdravil, alkohola, nikotina … in jih odplakne iz telesa. Polovi tudi bolezenske bakterije in viruse, preden ti preidejo v krvni obtok.

Redno vsakodnevno razstrupljanje in čiščenje je tudi najboljše pomlajevalno sredstvo in omogoča ne samo, da staranje ustavimo, temveč da se deloma celo vrnemo v prejšnje stanje.

KAMEN ŽIVLJENJA

»Vulkanska kamnina zeolit je s svojo izjemno sposobnostjo razstrupljevanja pravi blagoslov za današnjega s škodljivimi snovmi zastrupljenega človeka,« v knjigi Kamen življenja – kako lahko vulkanska kamnina zeolit klinoptilolit reši vaše življenje in vaše zdravje! piše avstrijska zdravnica dr. Ilse Triebnig, ki je knjigo napisala skupaj z avstrijskim novinarjem Ingomarjem Schwelzem.

Opisujeta ga kot popolno spužvo, ki vsesava strupene težke kovine, kot so svinec, živo srebro, kadmij in cezij, in ionskega izmenjevalca. Zaradi posebne zgradbe ima namreč zeolit izjemno veliko specifično notranjo površino: en gram ima

površino do tisoč kvadratnih metrov. Koktajl tega, kar posrka na svoji poti skozi naše telo, se praviloma izloči iz telesa z blatom v enem dnevu. V zameno pa zeolit telesu odda ione zaželenih kovin, kot so magnezij, kalcij, kalij in natrij. Telo pa jemlje mineralu le tiste ione in le toliko, kolikor jih dejansko potrebuje. Odvečni zeolit se izloči iz telesa, zato ga ni mogoče predozirati.

Zeolit je znanstveno zelo dobro raziskan. Posebno dobre rezultate so opazili pri razstrupljanju, hitrejši obnovi telesa, sladkorni bolezni, težavah z jetri, slabokrvnosti, tumorskih obolenjih, težavah v prebavnem traktu in kožnih obolenjih. Nadaljnje raziskave so pokazale opazno

Zeolit+ v prahu (stoodstotno aktivirani zeolit klinoptilolit) je na voljo na Misteriji.si.

250-gramsko pakiranje stane 14 €, 400-gramsko pa 21 €.

izboljšanje imunskega sistema in možganske dejavnosti. Blagodejne učinke so ugotovili pri celjenju ran in negi kože. Dober vpliv ima na tvorbo hrustanca in kosti.

Te odlične rezultate dosežemo le z naravnim, aktiviranim zeolitom.

UPORABA

Eno čajno žličko prahu raztopimo dvakrat dnevno v kozarcu vode, soku ali zmešančku. In popijemo. Najbolje zjutraj na tešče in zvečer pred spanjem. Čez dan pijemo vodo v zadostnih količinah. Prof. dr. Karl Hecht, nemški raziskovalec zeolita, ki dnevno zaužije pet do deset gramov zeolita, svetuje, da med njegovim uživanjem vsako uro popijemo kozarec vode. Preventivno kuro svetuje štirideset dni. Presledek do obrokov naj znaša vsaj pol ure. Jemanje pred obroki izboljšuje učinek pri mineralih, vitaminih, encimih in drugih koristnih mikroprehranskih snoveh. Poživila, kot so alkohol, nikotin in kofein, lahko omejujejo njegovo delovanje. Zeolit ne vpliva na zdravila, je pa priporočljivo, da ga jemljemo dve uri po njihovem zaužitju.

Z njim lahko čistimo in pomlajujemo tudi obraz. Dvema ali trem čajnim žličkam dodamo vodo, da dobimo primerno kremasto zmes; da je bolj gosta, ji lahko dodamo malo medu. Nanesemo na obraz in po dvajsetih minutah speremo z vodo. Masko si lahko naredimo dvakrat na teden.

A. Š. 
- MAREC 2023 - Misteriji 35
RAZSTRUPLJANJE
Zeolit je »popolna spužva«, ki vsesava strupene težke kovine, in ionski izmenjevalec.

Lepota pri živalih ni domišljavost, je harmonija z Naravo

Najlepši med zalimi ptiči

Če si v sadovnjaku jeseni pustil nekaj neobranih jabolk ali se je na vrtu z grmovja šipka na sneg usulo nekaj plodov in si s tem privabil pegame (Bombycilla garrulus) na skromno gostijo, lahko rečeš, da so se ti uresničile zimske sanje. Te ptice se v hudih zimah pomikajo proti jugu in se izredno redko ustavijo tudi pri nas, da se okrepčajo za dolgo selitveno pot nazaj v severne predele, v gozdove tajge Evrope in Rusije, kjer gnezdijo.

V pretežno rjavi obleki in z dolgim čopkom na glavi se ne baha pred nami, pač pa se v gnezditvenem ob-

Uspejo le starejši samci, ki jih krasi vsaj šest do osem škrlatnih ploščic na perutih. So kot čini v vojski, mlajši samci jih nimajo in so manj zanimivi.

dobju postavlja pred izredno izbirčnimi samicami. Uspejo le starejši samci, ki jih krasi vsaj šest do osem škrlatnih ploščic na perutih. So kot čini v vojski, mlajši samci jih nimajo in so manj zanimivi.

Pred nekaj leti – pri mojem tretjem opazovanju te vrste – je bilo nenavadno, da so se ptice pojavile šele konec marca. Da bi tukaj tudi gnezdili, je bilo skoraj neverjetno, čeprav so njihovi vrstniki na severu najbrž že pričeli znašati gnezda. Ko so je mešana druščina mladih in starih samcev ter samic odpravila proti gnezditvenim območjem, so mi ostala le razmišljanja.

Lepota pri ljudeh lahko kaj hitro povzroči domišljavost, ki pa ni prav čislana lastnost. Pri živalih predstavlja harmonijo z Naravo, za človeka pa je bolje, da išče skladnost med telesno in notranjo lepoto. Boris Kozinc 

36 - MAREC 2023SKRIVNOSTI ŽIVALI
Pred odhodom iz naših krajev so za pegame koristno okrepčilo sadeži in plodovi. Foto B. Kozinc Starejši samec s sedmimi »okraski« je goden za ženitev, a prej se mora uspešno vrniti v gnezditveno območje. Foto B. Kozinc

Vse v naravi se podreja številom, zato je število bit sveta

Kaj nam povedo števila?

Vsako naše število v numerologiji na poseben način razlaga naše značilnosti. S poznavanjem svojih števil postanemo bližji samim sebi in dobimo možnosti, med katerimi lahko izbiramo. Če delujemo v skladu s temi števili, pomagamo ne le sebi, temveč se lahko spremenimo in vplivamo na svojo življenjsko pot, kolikor nam je dano in dovoljeno. Če se zavedamo preteklosti in razumemo sedanjost, lahko dosežemo, da bomo v prihodnosti živeli lepše, enostavnejše in lažje. Poznavanje osebnih števil ljudi iz naše okolice pa nam omogoči, da se jim približamo na najboljši način, jih razumemo in jim tudi pomagamo. S primerjanjem svojih in njihovih osebnih števil lahko izboljšamo vzajemno razumevanje in vzpostavimo dobre odnose v družini, s partnerjem, na delovnem mestu …

K popularizaciji števil je največ pripomogel grški filozof in matematik Pitagora. Njegova slavna misel je: »Vse je urejeno na podlagi števila.« Temelj njegove filozofije je teza, da je število prvobitni element Kozmosa ali vesolja, bit vsega in da je organizacija vesolja v svojih določitvah harmoničen sistem števil in njihovih odnosov. Njegov nauk govori o povezovanju kozmičnih ritmov z naukom o številih: »Vse v naravi se podreja številom, zato je število v bistvu bit sveta. Spoznati vesolje, spoznati svet, njegovo temeljno strukturo in zakonitosti ne pomeni drugega kot spoznati števila, ki z njimi upravljajo.«

Osebno število predstavlja našo osebnost; to je nekaj, kar je zapisano v življenjski knjigi in je pogojno nespremenljivo, kakor naša osebna izkaznica.

NAŠE ŠTEVILO

Torej, naše število – datum rojstva –vsebuje tri števila, namreč osebno, bioritemsko in generacijsko število, ki jih

uporabljamo v numeroloških analizah. Vzemimo za primer, da ima nekdo rojstni datum:

23. 8. 1952

Bioritemsko število sestavlja vsota števil dneva in meseca rojstva, ki jo reduciramo v enostavno število (reduciranje števila pomeni, da seštejemo njegove števke; v tem primeru 31 = 3 + 1 = 4):

23 + 8 = 31 = 3 + 1 = 4

Generacijsko število je vsota vseh števil v letnici rojstva, reducirana v enostavno število:

1952 = 1 + 9 + 5 + 2 = 17 = 1 + 7 = 8

Osebno število pa dobimo tako, da seštejemo vse števke v datumu rojstva (ali pa seštejemo bioritemsko in generacijsko število) in dobljeno vsoto reduciramo v enostavno število:

2 + 3 + 8 + 1 + 9 + 5 + 2 = 30 = 3 + 0 = 3

ali

4 + 8 = 12 = 1 + 2 = 3

OSEBNO ŠTEVILO

Vsak človek ima samo eno osebno število, ki predstavlja njegovo osebnost. To je nekaj, kar je zapisano v življenjski knjigi in je pogojno nespremenljivo. Je kakor naša osebna izkaznica.

Osebno število nam pove, kakšno osebo imamo pred seboj, bioritemsko število in generacijsko število pa ga dopolnjujeta, tako da ga krepita ali slabita. S tem ublažita ali otežita njegove osnovne značilnosti oziroma nam govorita o spremenljivem stanju te osebe v različnih obdobjih in situacijah. Moramo pa poudariti, da ta spremenljiva

- MAREC 2023 - Misteriji 37
NUMEROLOGIJA
Knjigo poiščite v spletni knjigarni na Misteriji.si (12,10 €).

kaj nam Povedo števila?

stanja ne morejo bistveno spremeniti osnovnih lastnosti osebnega števila.

BIORITEMSKO ŠTEVILO

Bioritemsko število izraža naše psihofizične sposobnosti v danem trenutku in na podlagi tega dopolnjuje značilnosti osebnega števila. Njegov vpliv na našo življenjsko pot ni tako velik, temveč močneje vpliva na sposobnost in način, kako se odzivamo v danih situacijah in obdobjih.

Bioritem je spremenljiv in se menja v skladu s spremembami, ki nastajajo zaradi gibanja Zemlje okoli njene osi in okrog Sonca. Na bioritem vpliva Luna s svojo silo težnosti, Sonce s spremembami v magnetnem polju Zemlje ter posredno ostali planeti in celotno vesolje. Te spremembe neposredno vplivajo na ves živi svet, kar je že davno potrjeno in do-

kazano. Zato so vsa naša spremenljiva stanja in vse, kar je pomembno v našem življenju, odvisni od bioritemskega potenciala oziroma od njegove vrednosti, ki je izražena skozi število.

Če poznamo vse vidike, ki vplivajo na naše življenje, lahko načrtujemo aktivnosti takrat, ko so razmere za to najbolj ugodne. Poleg tega pa nam poznavanje bioritemskih vrednosti omogoča, da se pripravimo na krizne situacije in jih lažje obvladamo, saj vnaprej vemo, da bomo za to potrebovali več moči in energije.

Bioritemski potencial, izražen skozi število, nam pomaga, da se bolje prilagodimo in si ustvarimo lepše, lažje in bolj harmonično življenje. Najbolj koristen pa je v stikih z drugimi ljudmi, saj določa vrsto medsebojnih odnosov v danem trenutku.

Osebe, ki imajo enako bioritemsko število, a so si zaradi drugih števil povsem različne, podobno reagirajo v določenih situacijah in se težje razumejo in povežejo. V tej skupnosti oseb (družini, šoli, podjetju …) z istim bioritemskim številom zato ujemanje ni najboljše. Če so števila različna, je situacija ugodnejša. Spremembe, ki nastajajo, povzročajo različne reakcije, tako da lahko neka oseba spremeni napeto stanje z umirjenostjo, odpuščanjem, odstopanjem, optimizmom itd.

Pomnimo tudi, da je obdobje dvainpetdesetih dni pred rojstnim dnevom

neugodno, zato lahko takrat pričakujemo niz nepredvidljivih slabih dogodkov. Po rojstnem dnevu nastopi dvainpetdesetdnevno ugodno obdobje, v katerem lahko razrešimo krizne situacije, v katerih smo se znašli.

GENERACIJSKO ŠTEVILO

Generacijsko število predstavlja osebo glede na generacijo, ki je rojena v tem letu.

Za razliko od bioritemskega števila pa generacijsko število ne vpliva tako močno na osebno število, temveč samo blaži, krepi ali obremenjuje njegove osnovne značilnosti.

Če imata dve osebi enako generacijsko število in različna ostala števila, se lahko zelo dobro dopolnjujeta. Njuna življenjska pot je približno enako določena. Podobno razumeta življenje, imata podobna nagnjenja, podobne interese … To predstavlja stično točko med njima in ustvarja harmonijo v odnosih – v poslu, ljubezni ali družini.

Osebe, rojene v nekem letu, nosijo kot sled v duši tudi energijo dogodkov, ki so se zgodili tistega leta. Ni vseeno, ali je to bilo leto miru ali pa leto vojn, katastrof in naravnih nesreč.

To je le majhna razlaga o številih; podrobna in raznolika razlaga je zajeta v knjigi Kako vplivajo osebna števila. Tam lahko iz števil, ki jih izračunate po zgledih v tem članku, preberete, kaj vaša različna osebna števila pomenijo za vaše zdravje, ljubezen, poslovni uspeh, izbiro poklica, začetek ali razpad zveze … R. M. 

38 - MAREC 2023 -
Obdobje dvainpetdesetih dni pred rojstnim dnevom je neugodno, v dvainpetdesetdnevnem ugodnem obdobju po rojstnem dnevu pa lahko razrešimo krizne situacije.
»Tukaj imate test, ki vam pove, če je vaša naloga na Zemlji končana: če ste živi, potem še ni.«
(Richard Bach)

V vesolju »nismo sami«

Nova prelomnica na področju razkrivanja informacij o NLP-jih se je zgodila 24. junija 2020, ko je ameriški Odbor za obveščevalne dejavnosti (Intelligence Committee) izglasoval zahtevo za javno spremljanje in analiziranje zbranih podatkov o nepojasnjenih zračnih plovilih. Aktivirala pa se je tudi NASA, ki je poleti 2022 začela študijo, s katero želijo pomagati preusmeriti proučevanje NLP-jev s področja obrobja znanosti v osrednjo znanstveno srenjo, kar je zelo velik korak.

Delovna skupina za javno poročilo o NLP-jih je dobila rok tri mesece od sprejema zakona. Poročilo je v zakonitem roku tudi zares ugledalo luč sveta, še pred tem pa je Pentagon potrdil pristnost fotografij in videoposnetkov, ki so zakrožili po medijih 12. aprila 2021. Gre za material, na katerem se vidi, da »gre za piramidaste predmete«; ti so leta 2019 ob obali Kalifornije lebdeli nad ameriško ladjo USS Russell. »Lahko potrdim, da je omenjene fotografije in videoposnetke posnelo osebje mornarice. UAPTF je te dogodke vključila v svoje tekoče preiskave,« pravi tiskovna predstavnica Susan Gough.

»NISMO SAMI«

Bill Nelson, bivši senator in astronavt ter sedanji glavni izvršni direktor Nase, je v intervjuju za CNN povedal, da je videl tako javni del poročila kot tudi tisti del, ki je ostal pod oznako »tajno«. Kot je osmislil svoje besede, mu občutek pravi, da zagotovo »nekaj je tam«.

Znanega

Ni nujno, da gre za nezemeljsko tehnologijo, pove z nasmeškom, a v isti sapi doda, da ne verjamejo, da gre za tehnologijo katere druge države.

»Ali smo sami? Osebno mislim, da ne. Vesolje je zelo veliko,« pravi Nelson. V drugem intervjuju pa je povedal, da obstajajo celo teorije o možnem obstoju drugih vesolj, in dodal: »In če je tako, kdo sem jaz, da bi lahko trdil, da je planet Zemlja edino mesto z življenjsko obliko, ki je civilizirana in organizirana kot naša?« Njegov predhodnik Steve Jurczyk

je bil do te tematike veliko bolj zadržan.

DOKAZI ASTRONAVTOV

Glede na vidna prizadevanja Nase lahko upravičeno sklepamo, da so začeli aktivno iskati odgovor na to vprašanje. V reviji Nature so Nasini znanstveniki tudi predlagali vzorčno lestvico, ki naj služi za ocenjevanje in združevanje različnih dokazov, ter s tem znanstveno skupnost spodbudili, da se vzpostavi nov okvir za ugotovitve pri iskanju življenja zunaj našega planeta.

Poleti 2022 pa so začeli študijo, ki naj bi pomagala preusmeriti proučevanje NLP-jev z obrobja znanosti v osrednjo znanstveno srenjo. Pomočnik vodje za znanost v Nasi Thomas Zurbuchen je dejal, da se bo študija osredotočila na: »… identificiranje dostopnih podatkov, kako najbolje zbirati podatke v prihodnosti in kako lahko NASA pripomore k boljšemu znanstvenemu razumevanju NZP-jev (neidentificiranih zračnih pojavov)«.

Daniel Evans iz Nasinega direktorata za znanstvene misije pa je dejal, da želijo s študijo tudi odpraviti vsaj nekaj stigme na področju NLP-jev. »To bo seveda omogočilo boljši dostop do podatkov, več poročil, več opažanj in tako naprej,« še dodaja Evans.

Študijo bo vodil astrofizik David Spergel, predsednik fundacije Simons v New Yorku. Še posebej spodbudna je informacija od dobro obveščenega vira, ki je za Daily Mail povedal, da bo NASA zbirala tudi materialne dokaze astronavtov, ki so imeli kakršno koli izkušnjo z NLP-ji.

Neznani leteči predmeti se z obrobne selijo v osrednjo znanost (2)
- MAREC 2023 - Misteriji 39
filozofa Sama
Harrisa je ameriška vlada vprašala, če bi jim pomagal pri razkrivanju resnice o NLP-jih javnosti.
NEZNANI LETEČI PREDMETI »Ali smo sami? Osebno mislim, da ne. Vesolje je zelo veliko,« pravi Bill Nelson, direktor Nase. Foto splet

v vesolju »nismo sami«

So pa Nasini znanstveniki tudi že pred nekaj leti (poročilo NASA in iskanje tehnoloških podpisov, 2018) razpravljali o možnosti, da bi nezemeljske sonde poleg potovanja po naši planetarni soseščini lahko po naključju ali namerno pristale tudi na planetih in številnih naravnih satelitih v našem osončju. Še več, navajajo, da je »možno, da takšne artefakte gosti tudi Zemlja«. Zelo zanimive in močne besede.

ZNANSTVENO ISKANJE

S projekti, kakršen je Projekt Galileo, dobiva sistematično obravnavanje tematike NLP-jev nove razsežnosti. Ta medinstitucijski raziskovalni projekt, ki sta ga junija 2021 ustanovila dr. Avi Loeb in dr. Frank Laukien, deluje pod okriljem slovitega Harvarda, njegova naloga pa je sistematično znanstveno iskanje dokazov o nezemeljskih tehnoloških artefaktih.

Dr. Loeb je tisti znanstvenik, ki si je leta 2018 upal nastaviti glavo pod tnalo s člankom, ki sta ga on in soavtor

TUDI ASTRONAVTI VIDEVAJO NLP-JE

Alan Bean je leta 1973 na misiji Skylab 3 doživel nekaj nenavadnega. »Skozi okno smo videli svetlo rdečo luč, ki se je večala in manjšala v desetsekundnih intervalih. Postajala je vse svetlejša in je najmanj dvajset minut plula z nami,« je zapisal v dnevnik potovanja.« Član posadke Owen Garriott je posnel fotografije, strokovnjaki pa so izračunali, da je bil svetleči predmet dolg okoli 180 metrov.

Astronavt Apolla

11 Buzz Aldrin je leta 2014 na spletnem forumu Reddit na vprašanje o nezemljanih odgovoril, da je na poti na Luno skozi okno videl »svetlobo, za katero se je zdelo, da se premika skupaj z nami«.

Astronavti Skylaba

3 (Lousma, Garriott in Bean) so leta 1973 opazovali in posneli NLP.

Še najbolj neposreden in odprt za vprašanja o NLP-jih je bil pokojni astronavt Edgar Mitchell, ki je kot šesti človek na svetu obiskal Luno. Mitchell je trdil, da se javnosti prikrivajo zgodovinske najdbe NLP-jev in tudi stiki z nezemljani. NASA se je od njegovih stališč distancirala.

Shmuel Bialy objavila v reviji Astrophysical Journal Letters. V njem trdi, da je bil komet Oumuamua prvi stik človeštva z artefaktom nezemeljske inteligence, kar je podprl s kar nekaj zanimivimi dejstvi. Konec oktobra 2021 pa sta na povabilo dr. Loeba postala raziskovalna sodelavca projekta Galileo še Christopher Mellona in Luis Elizondo, ki imata oba bogate izkušnje z raziskovanjem neidentificiranih zračnih pojavov.

TUJA INTELIGENCA

Leta 2021 je Sam Harris, znan nevroznanstvenik, filozof in avtor več uspešnic, v javnost posredoval informacijo, da ga je ameriška vlada vprašala, če bi jim pomagal pri razkrivanju resnice o NLP-jih javnosti. Da so se obrnili ravno na Harrisa, ni nič čudnega, saj je Sam Harris za vprašanja zavesti enako velika avtoriteta, kot je Neil de-

Grasse Tyson za astronomijo in kozmologijo.

Kot je dejal Harris, jih skrbi, kako sporočiti javnosti, da NLP-ji predstavljajo nečloveško inteligenco, ter kako ublažiti paniko in teorije zarot, toda razkritje bo prišlo, pravi. Tako kot pri gledališki predstavi se veliko dogaja tudi v zaodrju.

Aleksej Metelko

40 - MAREC 2023 -
Glede na vidna
prizadevanja Nase
lahko upravičeno
sklepamo, da so
začeli aktivno
iskati odgovor na vprašanje NLP-jev.
Foto splet

Kaj Rusi jedo od nekdaj?

Umešana jajca? Samo ob večjih praznikih. Meso? Enkrat ali dvakrat na leto. Grah, rdeča pesa, kumare so prišli na vrsto le občasno. Ruski kmetje so bili zelo revni. In takšna je bila tudi njihova prehrana. Rusi so bili večinoma kmetje, obrtniki, vojaki, trgovci, lovci … Vsi so od nekdaj jedli približno isto hrano. In kaj so jedli nekdaj in jedo še danes?

KAPUSTA (ZELJE)

Pred več kot osemsto leti Rusi še niso poznali zelja. Jedli so ohrovt ali listnato zelje, ki je bilo v helenističnem svetu zelo priljubljeno in je v ruske dežele prišlo iz Bizanca. Zelje, ki ga poznamo danes, se je pojavilo v Rusiji v dvanajstem ali trinajstem stoletju. Rusi so uporabljali oba »dela« te zelenjave – listom, ki obkrožajo glavo, so pravili »sivo zelje«, sami zeljnati glavi pa so rekli »belo zelje«, čeprav je šlo za eno in isto rastlino.

Zelje so vlagali za ozimnico na zelo enostaven način. Sivo zelje so sesekljali, posolili in tesno stisnili v sodu ali manjši leseni kadi. Prve tri dni so v tem zelju z leseno palico naredili luknje, da so izpustili pline. Nato so zelje ponovno nasekljali in

zdrobili, ga pokrili s težkim tovorom, torej so ga obtežili in ga pustili za vso zimo. En sod sivega zelja bi lahko družini zagotovil šči juho za vso zimo. Belo zelje so fermentirali nekoliko drugače, z dodatkom limone, janeža in celo žafrana – za posebne praznične priložnosti. Seveda kmetje niso vedno imeli

tistih dragih in težko dostopnih sestavin, a če je bilo zelje vloženo za carsko mizo, so se vedno našli načini za nabavo limone ali žafrana. Kmetje v vaseh, ki so pripadale kraljevi družini, so bili dolžni pripraviti belo zelje za carsko mizo. Tako je bilo zelje priljubljeno tako med kmeti kot tudi med carji.

KAMA (FERMENTIRANA MOKA)

Ta jed je bila pripravljena iz ržene ali ovsene moke in se je v ruščini imenovala tolokno, kar lahko v grobem prevedemo kot »tista, ki je bila potolčena«.

Najprej so moko čez noč postavili v peč. Tako so se beljakovine žita spremenile, denaturirale. In moka, pridobljena iz takega zrna, je izgubila sposobnost tvor-

Umešana jajca samo ob večjih praznikih, meso enkrat ali dvakrat na leto
PREHRANA
- MAREC 2023 - Misteriji 41
Zelje je bilo priljubljeno tako med kmeti kot tudi med carji.
»Kmečko kosilo na polju«, Konstantin Makovski, 1871 (Taganroška umetniška galerija) Foto splet

Skuta je bila veliko bolj hranljiva, zato ruski kmetje mleka niso kaj prida pili, hranili so ga za pripravo skute.

be glutena, vendar je dobro nabrekla v vodi in se hitro zgostila. Zrno so nato ročno tolkli, pri čemer so ohranili vse dele zrnja – pri mletju se namreč zunanji deli zrnja, ki so pravzaprav zelo hranljivi, običajno zavržejo kot odpadek. Zmleto zrnje v prahu so potem lahko zmešali z vodo, da je nastala gosta in lepljiva jed.

Pomembno je bilo, da so tolokno lahko pripravili iz prahu na poti, zato je ovsena kama ostala ena glavnih živil med ruskimi vojaki v pohodih vse do konca devetnajstega stoletja.

KRUH

IZ KISLEGA TESTA

Rženi kruh iz kislega testa ali »črni kruh«, kot ga običajno imenujejo v Rusiji, je bila glavna jed in hitra hrana ruskih kmetov. Etnograf Dmitrij Semjonov je leta 1869 zapisal o prehrani kmetov v Rjazanski regiji: »Rženi kruh je dobre kakovosti; včasih lahko postane neprebavljiv zaradi pomanjkanja pozornosti pri peki. Ob praznikih ga pečejo iz ržene moke s primesjo pšenične moke.«

Kruh iz kislega testa se razlikuje od kruha, pripravljenega s kvasom. Lahko ga hranimo več časa, zaradi česar je nepogrešljiv kot hitra hrana, na primer

pri dolgotrajnem delu na polju. Kruh so pekli pogosto, običajno enkrat do dvakrat na teden.

KAŠA

Rusi so za pripravo kaše uporabljali različne sestavine: najbolj priljubljene so bile ajda, ovsena kaša, ječmen in pira. Tudi kaše so bile razdeljene na dve vrsti: goste kaše in močno razkuhane redke kaše.

V tradicionalni ruski družbi je bila kaša tipičen poročni obrok; v dvanajstem stoletju je »kuhati kašo« pomenilo organizirati poročno pogostitev. Kaše so bile obredne jedi za porodnice, kaše so pripravljali tudi za pogostitev gostov po krstu otrok. V ruski vojski je bila kaša skoraj sinonim za hrano; tudi vojaškemu kuharju so običajno rekli kaševar, torej »tisti, ki kuha kašo«.

TVOROG (SKUTA)

Tvorog je grudasta bela snov, ki je za mnoge neprivlačna. Toda to je bil eden glavnih virov prehrane za ruske kmete – seveda tiste, ki so imeli v lasti krave ali imeli dostop do njih. Presenetljivo je, da ruski kmetje niso pili mleka! »Mleko in kisla smetana služita bolj za začimbo ščija in kaše,« je zapisal Dmitrij Semjonov. »Včasih jedo kislo mleko, večinoma pa iz njega naredijo skuto, ki jo podobno kot umešana jajca postrežejo k mizi raje ob praznikih in ne ob delavnikih.«

V vaseh so skuto pripravljali iz fermentiranega mleka, pri čemer so tekočo sirotko ločili od skute tako, da so jo precedili skozi prosto viseče krpice iz gaze.

Skuta je bila najbolj hranljiva hrana na mizi ruskega kmeta. Bogata z beljakovinami, kalcijem in vitamini je bila veliko bolj hranljiva od mleka, zato ruski kmetje mleka niso kaj prida pili, hranili so ga za pripravo skute.

(Boris

»Sfizično smrtjo ni nič končano. Telo zgori za ta svet, duhovna substanca, pravi jaz, ki zori in dozoreva, pa ostane,« je v knjigi Čudež življenja zapisala Francka Premk, prevajalka in dvakratna doktorica znanosti, žena pokojnega Janeza Premka, pravnika in vizionarskega pesnika. Bila sta dogovorjena, da bosta po smrti enega od njiju še vedno ostala skupaj in se naprej razvijala. Mož je svojo smrt videl že vnaprej. Napovedal je svojo smrt pri sedeminsedemdesetih letih. Tako kot jo je Martin Kojc, eden največjih slovenskih modrecev, katerega sta prevajala. In tako se je tudi zgodilo.

Od 12. januarja 2017, ko je preminil, je pogovor s pokojnim možem postal del njenega vsakdana. Njegova sporočila in znamenja običajno prihajajo nepričakovano, prek števil, ptičev, metuljev, sanj, nenavadnih vonjav, opozorilnih znamenj … Mož ji potrjuje, da je smrt iluzija, zgolj prehod v drugo območje bivanja, duša pa je nesmrtna. Mrtvi pomagajo živim in živi pomagajo mrtvim. Da se razvijamo duhovno, moramo sprejeti mrtve v svoje življenje in z njimi živeti, je prepričana naša sogovornica.

Knjiga Čudež življenja je naletela na dober odziv pri bralcih. Zanjo se je treba v knjižnicah postaviti v vrsto. Očitno tema o komunikaciji z mrtvimi in misterij smrti priteguje ljudi.

Je knjiga nastala iz dnevnika, ki ste ga že prej pisali?

Georgij Manajev 

(Vir: Russia Beyond Slovenija)

Dnevnik sem pisala že prej. A ne redno. Po moževi smrti pa sem začela razmišljati, da bi bilo dobro napisati to, kar sva doživljala. Delce sem imela že prej napisane. Nisem pa tako redno pisala kot moja mama, ki je pisala od svojega šestega leta vsak dan. V mojih očeh je knjiga resnično moje življenje. To je del moje avtobiografije, samo transcendiran. Skušala sem biti čim

42 - MAREC 2023 -
kaj rusi jedo od nekdaj? pokojni se pogovarja z ženo
»Želja po izboljšanju samega sebe je najbolj pomembna človekova vrlina!«
Akunin)

Sporočila dobiva prek števil, ptičev, metuljev, sanj, vonjav, opozorilnih znamenj …

Pokojni se pogovarja z ženo

bolj verodostojna. Mož je hotel, da knjiga izide. Vprašala sem ga in sem dobila več odgovorov, da ja. Knjiga je izšla lani.

Ali moževa sporočila prihajajo v sanjah ali spontano podnevi, ste takrat v posebnem stanju zavesti?

Odvisno je od tega, v kakšnem stanju sem. Ali sem sprejemljiva ali ne. Večinoma pa prihajajo sporočila takrat, ko ne pričakujem. Sama sporočila prepoznam, drugi jih običajno ne opazijo. A tudi hčere ga zaznavajo, večinoma prek števil, ki se denimo pojavljajo na avtomobilskih registrskih tablicah. Janezovo število je bilo sedem.

Kakšen je simboličen pomen števila sedem?

Sedem ima veliko pomenov. To je pravljično število, jemljem ga kot pozitivno. Ampak vsaka stvar je pozitivna in negativna. Osmica, sveto število, denimo, naj bi na eni strani simbolizirala smrt, na drugi strani pa neskončnost. V hebrejski abecedi sedem predstavlja ladjo, ki vozi z enega brega na drugega.

V knjigi opisujete svoje sanje o ladji, ki vozi z enega brega na drugega. Da ji to uspe, mora biti lahka. Ali to pomeni, da moramo biti nenavezani, da se lahko osvobodimo?

To enostavno pomeni, da moraš brusiti ego. Ego sam po sebi ni nič slabega. Ti moraš biti ti, sebstvo, ampak skušaš pa le nadzirati svoje misli. Paziti moraš, da

Mož ji potrjuje, da je smrt iluzija, zgolj prehod v drugo območje bivanja, duša pa je nesmrtna.

ne obtežuješ sebe z nepotrebnimi stvarmi, da nisi vezan na materijo. Vezanost na ljudi je na splošno težje premagati kot vezanost na materijo. Čeprav te ljudje velikokrat razočarajo. Ampak razočaran si, kolikor si obtežen. Če pa nisi vezan, te ne morejo prizadeti. Ne smeš

pričakovati ničesar od nikogar. Ko sem moža vprašala, kaj pričakuje od mene, je odgovoril: »Samo to, da si zvesta sebi in da se boš razvijala naprej.«

Vrane so eden od glasnikov v sporočilih vašega moža. Kaj vam vrane pomenijo?

Prej niso bile nič drugega kot ptiči. Večkrat me je Janez opozarjal: »Poglej, kaj ta ptič počne.« Ko je umrl najin dober prijatelj, glasbenik Ljuben Dimkaroski, se je pojavil roj ptic, to je bilo na Mljetu. Vrana naj bi bila sicer božanska ptica, ki nosi sonce … Po kitajskem mišljenju so vrane najbolj zveste in pametne živali. Po izdaji knjige so mi ljudje začeli pripovedovati, kakšne izkušnje imajo oni z vranami. Te so tako dobre kot slabe. Vrana si zelo zapomni, če si ji naredil kaj hudega, in se ti maščuje. Lahko te močno okavsa. Vrana je tudi znanilec smrti in kot neke vrste pogrebec. Daje pa ti tudi opozorila. Spominjam se, kako so pred nevihto na Mljetu prihajala opozorila. Po moževi smrti sem bila posebej pozorna, ker sem imela vsako jutro vranjo budnico. Nisem potrebovala budilke. Sicer pa vrano lahko slišim tudi samo v svoji notranjosti.

Simbolično je z vašim možem povezana tudi pikapolonica, ki velja za prinašalko sreče …

Pikapolonice priletijo ne veš od kod in kako. Dobesedno se materializirajo. To je doživljala hči Ana; nenadoma se je pojavila pikapolonica pri njeni postelji. Ko smo bili na Korziki, je bila že noč in nena-

- MAREC 2023 - Misteriji 43
REINKARNACIJA
Ddr. Francka Premk Foto A. Paljevec

doma smo na temnem stolpu zagledali pikapolonico. Ko smo bili s prijatelji na Mljetu, je ponoči naenkrat skočila pikapolonica prijatelju na krožnik. Rekel je: »To je pa Janez!« pa nisem nič pripovedovala, da je on »Pikapoka«. Vaš mož naj bi vas kot nekakšen angel varuh opozarjal tudi pred nevarnostmi. Po njegovi zaslugi ste že večkrat dobili nenadne prebliske, ki so vas obvarovali pred nesrečo … Ali to pomeni, da nas duše pokojnikov čuvajo?

Če jim to dovoliš. Enkrat sem skoraj že odšla, bila sem blizu smrti. Janez, ki je tudi slikal, me je naslikal že čisto eterično. Bila sem že večkrat skoraj na drugi strani. Spominjam se, denimo, ko sem bila pri polni zavesti pod snegom … V rani mladosti sem veliko smučala, živela sem v Švici, učila sem smučanje. V neki šoli smučanja so nas učili, da je prva stvar, ki jo moraš narediti, če te zasuje plaz, da narediš prostor za nos za dihanje. To sem naredila, da sem lahko dihala. Ko sem bila zasuta pod plazom, je Janez zaslutil, kje sem, in me je rešil. Tisti dan, ko se je to zgodilo, mi je rekel: »Da ne boš šla danes kidat snega.« Pa sem šla, in ko sem kidala, se je s strehe vsul plaz mokrega snega in me pokopal pod seboj. Janez je bil takrat drugje in če ne bi slutil, da je nekaj narobe, bi bilo lahko usodno.

Obsmrtna doživetja lahko služijo kot dokaz, da imamo dušo, ki pre-

živi smrt, nekateri pa menijo, da gre samo za proces umiranja in pomanjkanja kisika v možganih, zaradi katerega imamo halucinacije …. Kaj menite, kaj se dogaja z našim duhovnim delom po smrti?

To je odvisno od tega, na katero raven zavesti si prišel v času življenja. Lahko veš, kaj se s teboj dogaja, veliko ljudi pa, ko umrejo, ne vedo, kaj se z njimi dogaja. Vežejo se še na materijo. Kako se potem dematerializiraš, je odvisno od stanja zavesti. Ljudje razumejo posmrtno življenje v skladu s svojimi predstavami. Odvisno od njihove religije, če pa niso verni, to pride spontano, lahko greš v vseobstoj. Ker smo vsi eno. Tukaj smo zato, da se uresničimo, prečistimo. In bolj ko se uspeš prečistiti, lažja je pot v duhovni svet. Drugače pa te vleče navzdol. Sodiš si vedno sam, ne drugi. Neumno se je obremenjevati z grehi. To so samo življenjske lekcije …

Verjamete v reinkarnacijo?

Reinkarnacija v določenem smislu obstaja. Ampak nikoli ni tako, kot si predstavljamo. Je malo drugače. Prehodi duš v druge objekte, žive ali ne, so. Duša nikoli ne gre samo na eno telo, to ni omejeno. Duša je duhovni del človeka, ki ga osmišlja kot ego, ego v pozitivnem smislu. Čim bolj je duša očiščena, lažje se razvija v drugih transferjih, v drugih medijih. In potem lahko pomaga drugim ljudem. Iz lastnih izkušenj sem prepričana, da inkarnacija je. Ker sva z možem večkrat doživela, da se je, ko je kdo ravnokar umrl, rodil nekdo, za katerega si videl, da ima isto dušo. Ko je umrl Janezov stric, se je naslednji dan rodil nečak, ki je imel isto dušo in tudi podobno življenjsko pot.

»V večnosti starosti ni, ko se bližamo koncu, … moramo preseči privid starosti,« ste zapisali v knjigi. Kako vam to uspeva?

»Čudež življenja« je avtobiografsko delo Francke Premk, v katerem resnične dogodke, s poudarkom na misteriju smrti, prepleta z duhovnimi uvidi in spoznanji. (Misteriji.si; 24,80 €)

Pred petimi leti sem začela spet igrati klavir. Ne maram učiteljev, ki v tebi vidijo starčka, ker te s tem fiksirajo, da ne zmoreš. Obstaja predstava, da se po štiridesetem letu ne moreš več naučiti igrati na pamet. Res je, da je težje, a učiš se ravno tako lahko. Starost je samo privid. Sem zelo zoper to, da si umetno skušaš popravljati videz. Ideje o smrti so zlagane. Smrti ni, to je prehod v drugo razsežnost. Samo spustiš trdo materijo in preideš v drugo. Ampak si tukaj … Časovno-prostorske dimenzije ni. Istočasno si lahko na več mestih. Janeza zaznavam, in če grem ven v naravo ali kam drugam, sem mu še bližje, kot če sem ves čas doma. Andreja Paljevec 

44 - MAREC 2023 -
pokojni se pogovarja z ženo
»Ne maram učiteljev, ki v tebi vidijo starčka, ker te s tem fiksirajo, da ne zmoreš.«
»Karma je pravzaprav tole: kar ‘ma’, ‘ma', česar pa nima, nima.
(Peter Amalietti)

Kako izdelati morilski virus?

Pred kratkim (članek je bil napisan leta 2003) so znanstveniki dokazali, da je mogoče virus otroške paralize ali poliomielitisa izdelati tako rekoč iz nič. Kot pravijo, bi bilo mogoče enak postopek uporabiti za ponovno ustvaritev virusa ebole ali pa smrtonosne različice virusa gripe, ki je leta 1918 pomorila štirideset milijonov ljudi. Pa črnih koz … Ko boste prebrali članek do konca, vam bo jasno, zakaj so začeli zaukazano cepljenje v ZDA. V članku ne govorimo o cepljenju, razgrinjamo pa skoraj vsakdanje možnosti ustvarjanja morilskih virusov.

PATOGENI

NA INTERNETU

A še večjo skrb vzbuja dejstvo, da je mogoče mikrobe ustvariti na še bolj preprost način. Zadošča, da se bližnjemu sorodniku morilske klice doda njen ključni gen. Seveda je v vseh teh primerih ključno poznavanje genskega zaporedja. In to odpira temeljno vprašanje, ali je pametno objavljati genome smrtonosnih patogenov na internetu?

Za ustvaritev virusa poliomielitisa je skupina z univerze Stony Brook v New Yorku uporabila kosce zaporedij, dobljenih od družb, ki dele DNK izdelujejo po naročilu. Trenu-

tno je sicer mogoče izdelati le kratke dele DNK, zato je morala skupina genom polia, ki obsega okoli 7500 baznih parov, sestaviti iz koščkov, dolgih po približno 70 baznih parov. Potem so s hitro laboratorijsko reakcijo izvode genoma »preslikali« v RNK, jo dali v posodo, polno celičnih sestavin, podobnih okolju v človeški celici – in nastali so docela pravilno oblikovani virusni delci.

Opis je zelo dramatičen, a ob tem ni šlo za nič izjemnega; vse opravljene korake rutinsko uporablja na tisoče la-

boratorijev po vsem svetu. To pomeni, da bi lahko virus v epruveti ustvaril vsak, ki pozna njegovo genetsko zaporedje, ima določeno znanstveno izobrazbo in nekaj običajnih laboratorijskih orodij.

»Ljudi je šokiralo nenadno spoznanje, da je taka možnost stvarna,« komentira vodja newyorške skupine Eckard Wimmer.

Poročilo ne bo vplivalo na prizadevanje Svetovne zdravstvene organizacije za izkoreninjenje polia, so povedali njeni predstavniki. »Tarnanje nima smisla,« dodaja

Wimmer, ki je tudi član odbora SZO za skrb nad vzorci polia, shranjenimi po svetu. »Zavedati se je treba, da bi se bilo vseh virusov polia v hladilnikih laboratorijev po vsem svetu pretežko znebiti.« Dodaja pa, da bo potrebno zaloge cepiva ohraniti tudi po prenehanju cepljenj. To naj bi se zgodilo v petnajstih letih, čeprav se ta rok danes že zdi dvomljiv.

Resnično skrb pa poraja možnost, da bi takšen postopek lahko uporabili bioteroristi in z njim ustvarili viruse, kakršna sta virus ebola in virus črnih koz. Strokovnjaki so sicer hitro pojasnili, da bi bilo to mnogo bolj zapleteno kot izdelava polia; njegov genom je namreč razmeroma lahko sestaviti, ker je majhen. Poleg

Za pripravo morilske klice ni treba začeti iz nič, obstaja …
IZ ARHIVA MISTERIJEV
- MAREC 2023 - Misteriji 45
Virus v epruveti bi lahko ustvaril vsak, ki pozna njegovo genetsko zaporedje, z običajnimi laboratorijskimi orodji.
Pisali smo pred dvajsetimi leti
Fotoarhiv Misteriji
Misteriji št. 116, marec 2003

kako iZdelati morilski virus?

tega je preprost tudi način, na katerega se virus polia polasti celičnih mehanizmov. Za sprožitev dogajanja, ki povzroči nastanek virusnih delcev, zadošča izvod genoma v RNK. To pa ni način delovanja večine virusov; pri eboli in črnih kozah, na primer, so za podvajanje poleg genoma potrebne še ključne virusne beljakovine.

VZVRATNA GENETIKA

Vendar so medtem premagali tudi to oviro. Letos so znanstveniki objavili, da so izdelali virus ebola z uporabo »vzvratne genetike«. Vzeli so virusni genom in delce DNK, ki kodirajo nastanek ključnih beljakovin, ter vse to dodali celicam. Ko te beljakovine nastanejo, sprožijo postopek podvajanja. Skupina je genom dobila od samega virusa. Toda ker je genom virusa ebola le nekoliko večji od genoma polia, ni razloga, da ga ne bi bilo mogoče sestaviti iz delcev od samega začetka.

Ali pa vzemimo virus gripe iz leta 1918 – njegove delce so dobili iz ohranjenih vzorcev tkiva. Zaporedje treh izmed osmih genskih segmentov je bilo že objavljeno, analiza še dveh pa je že narejena in bo najbrž objavljena še letos. Za analizo preostalih treh bo sicer potrebnih še

nekaj let, ko pa bo to opravljeno, lahko virus z vzvratno genetiko zopet ustvari kdor koli.

Poustvaritev genoma črnih koz s sestavljanjem delov bi bila težavnejša, ker je neprimerno daljši: meri kar 185.000 baznih parov. Težavnejše, nikakor pa ne nemogoče, pravi Lev Sandakačijev, strokovnjak za črne koze in vodja ruskega laboratorija za biološko obrambo Vektor v Sibiriji: »Prepričan sem, da bodo znanstveniki to prej ali slej storili.«

Kako naj torej preprečimo, da bi se to zgodilo? Trenutno družbe, ki izdelujejo molekule DNK – takšne, kot so bile uporabljene za izdelavo virusa polia – ne preverjajo, kaj naročajo njihove stranke. »To nas ne zanima,« pravi tehnik ene od družb, ki pošilja DNK v več kot štirideset držav po vsem svetu,

A tudi če bi nadzorovali vsa naročila, želeč preprečiti na primer izdelavo črnih koz, to ne bi zadoščalo. Namesto zahtevnega sestavljanja celotnega genoma je mogoče uporabiti tudi preprostejšo pot: vzameš bližnjega sorodnika in ključni del njegovega genetskega zaporedja spremeniš v zaporedje virusa črnih koz. Takšna bližnja sorodnika sta denimo virus kameljih koz in pa virus vakcinije, ki ga je nadvse lahko dobiti. Tako bi bilo mogoče izdelati tudi bakterije, podobne antraksu. In če se že lotite vsega tega dela, zakaj ne bi virusa še malo prikrojili? Znano je na primer, da so znanstveniki, ki so eksperimentirali z virusom ektromelije, ustvarili veliko bolj smrtonosen sev.

Torej omejitev dostopa do nevarnih patogenov in določenih vrst opreme ne bo onemogočila odločenih bioteroristov. Celo to, da je bil virus že popolnoma izkoreninjen, ni pomembno. Za njegovo obuditev zadošča poznavanje njegovega genetskega zaporedja in, v nekaterih primerih, poznavanje določenih dodatnih snovi, ki jih potrebuje za razmnoževanje.

46 - MAREC 2023 -
vključno v nekatere države Srednjega Vzhoda.
J. L.
Vseh virusov polia v laboratorijih po vsem svetu bi se bilo pretežko znebiti, zaloge cepiva pa je treba ohraniti tudi po prenehanju cepljenj.

S presnojedstvom do zdrave starosti

Post ji je očistil telo in dušo

Po Abrahamu, ki ji je prinesel kopico zdravstvenih težav in operacijo nadledvične žleze, se je upokojenka Ivanka odločila za korenito spremembo prehrane. Prelomnica je bilo prvo skupinsko postenje leta 2006 na Mostu na Soči pri Marjanu Videnšku, ustanovitelju zavoda Preporod, po katerem je postala presnojedka. Skupaj z odvečnimi kilogrami so izginile tudi vse zdravstvene tegobe, zato vztraja na tej poti že več kot dvajset let.

Ivankine zdravstvene težave so se začele leta 1993, ko so ji odkrili bulico na nadledvični žlezi in jo operirali. Imela je previsok krvni tlak. Zaradi tega se je odebelila nadledvična žleza in je izločala preveč adrenalina v kri. Takrat je začela prvič spreminjati svojo prehrano. Sicer je bila vsejedka in je imela prekomerno težo, zaradi tega pa tudi bolečine v kolenih, hrbtenici, težave z mehurjem, prebavne težave … Zdravnica Urška, ki jo je seznanila z makrobiotiko, ji je v bolnišnico prinašala makrobiotično hrano. Začela se je boljše počutiti in zaupati v moč zdrave prehrane.

PRVI POST – NOVO POGLAVJE V ŽIVLJENJU

Prijatelj, zdravnik, ji je svetoval, naj gre na skupinski post. Aprila leta 2006 se je udeležila prvega skupinskega posta pod vodstvom Marjana Videnška na Mostu na Soči. Desetdnevni post je podaljšala še za enajst dni.

»Desetdnevni post mi je zelo dobro del in sem ga doma podaljšala na enaindvajset dni. V skupini smo se posti-

li ob sveže pripravljenih sadnih in zelenjavnih sokovih in zelenjavnih prevretkih, vodi in čaju in bili smo ves dan aktivni. Začeli smo z jutranjo telovadbo in tekom, vsak dan hodili v hribe, kolesarili, imeli organizirano jogo, ročne masaže, hodili na izlete, imeli kulturne večere in vsak dan predavanja o zdravi prehrani in zdravem načinu življenja. Med opoldanskimi odmori smo prebrali kakšno dobro knjigo o zdravem načinu življenja in zdravi prehrani. Zvečer smo hodili v posteljo ob deveti uri in zjutraj spet zgodaj vstajali, pripravljeni za nove celodnevne aktivnosti. Tako težav s postenjem in lakoto skoraj nismo čutili, počutje pa je bilo vsak

Ivanka Stanič

Spol: ženski

Starost: 82 let

Začetek težav: leta 1993

Zdravstvena diagnoza: nepravilno delovanje nadledvične žleze, težave z mehurjem, bolečine v kolenih in hrbtenici

Zdravljenje: klasična medicina, postenje, presna hrana

Počutje danes: je vitalna brez zdravstvenih težav

dan boljše in vsak dan je bila skupina bolj sproščena in bolj duhovno povezana. Po končanem postu sem se počutila zelo dobro in samozavestno ter srečna in ponosna, da sem se za to odločila in to zmogla,« pravi Ivanka, ki je takrat shujšala za pet kilogramov.

Kupila si je knjige in ugotovila, da smo napačno naučeni, da narobe živimo in se prehranjujemo, da živimo mimo narave in da nismo ustvarjeni, da bi jedli živalsko hrano. Prvi človek je bil nabiralec, rastlinojed, narava ga je takega ustvarila. Preveč živalskih beljakovin v telesu je bolezen. Telo tega ne more predelati. Smo krhki, zato moramo s telesom ravnati lepo, nežno … Narava je ravno prav naredila. Narava ni ustvarila štedilnika, hladilnika …«

NA VRTU PRIDELA SVOJO HRANO

Odločila se je, da si bo sama pridelovala hrano. Najela je zemljo in zače-

- MAREC 2023 - Misteriji 47 POTI DO ZDRAVJA
Foto A. Paljevec
Ko se telo znebi strupov in mu jih na novo nič več ne dodajamo, damo telesu možnost, da se samo zdravi.

la obdelovati svoj vrt. Uživa strogo sezonsko hrano, kar raste na vrtu. Pozimi je to korenasta zelenjava, trde, grenke stvari, kot so korenje, koleraba, pesa, zeljnate glave, radič; poleti pa solata, peteršilj, česen, čebula, razni radiči, endivija, mehka solata, buče, kumare … Poleg zelenjave uživa še sadje, oreščke, semena, stročnice. Olje uživa samo na solati, bodisi domače oljčno olje iz Dalmacije ali bučno olje iz Prekmurja. S sladkim sadjem si sladi življenje. Pozimi ima rada zlasti kakije. Sicer pa ji bolj paše kisel okus, zelo rada ima limone … Solate kisa z limoninim sokom. Uživa suho sadje in nobene moke, kruha.

Opozarja, da pšenica ni zdrava za človeka. Tudi krompir ni preveč zdrav, ampak kot občasen dodatek k solati je v redu. Solato uživa kar trikrat na dan, običajno že za zajtrk. Tropskega sadja ne je, kupuje pa mandarine in pomaranče. Najraje uživa sezonske solate, spomladi berivko, poleti bolj mehke solate, pozimi tržaški radič s krompirjem … Solati doda fižol. Občasno uživa tudi kaše, kot sta prosena in ajdova, ki jih skuha, prav tako skuha polento. Hrano zaužije samo, kadar je lačna. Pije presne sokove in vodo. Zelenjavni presni sokovi gradijo celice, sadje pa čisti kri. Od prehranskih dopolnil uživa samo magnezijeve tablete. Na nje-

nem jedilniku nikoli ni konzervirane ali vložene hrane. Medu ne uživa. V običajne trgovine skoraj ne zahaja.

POST OČISTI TELO STRUPOV

Na skupinskih postih je bila že večkrat, nazadnje lani na Debelem rtiču dvakrat po tri dni. Postenje zelo dobro vpliva na njeno telesno in duševno počutje.

»S postom si človek očisti telo in dušo. Očisti se strupov iz telesa, ki so se leta nabirali z nezdravo, predelano in konzervirano hrano, lepljivim kruhom, mesom in mesnimi izdelki, sladkarijami in umetno pijačo. Vsa ta našteta hrana nas samo redi, nam zakisa telo in zato zbolimo. Ko se telo znebi strupov in mu jih na novo nič več ne dodajamo, damo telesu možnost, da se samo zdravi.«

Od leta 2006, ko se je udeležila prvega posta in je tehtala enainsedemdeset kilogramov, je postopoma izgubila dvanajst kilogramov. Pristala je pri štiriinpetdesetih in se počuti dobro. Za Videnška, ki je zaslužen za popularizacijo posta in presnojedstva med Slovenci, pravi, da je izjemen, enkraten, razumen, potrpežljiv človek, ki se zelo trudi, da bi pomagal drugim. Tudi njegova zgodba je navdihujoča, saj mu je knjiga Živeti brez bolezni Ernsta Günterja pred tremi desetletji spremenila življenje. Zaradi hudih bolečin je tri tedne užival samo presno hrano in potem odpovedal operacijo.

Z IDEALNO TEŽO DO 120 LET

Ivanka verjame, da je prav zaradi svoje prehrane v dobri formi in nima nobenih zdravstvenih težav. Krvno sliko ima odlično. Vitamina B12 ima dovolj. Zlahka ohranja svojo težo, saj se s tovrstno prehrano ne da zrediti. Krvni tlak ima normalen. Pred pre

snojedstvom so jo pestile bolečine v kolenih in hrbtenici, imela je tudi težave z mehurjem, prebavne težave in visok krvni tlak. Vse te tegobe so izginile. Ne uživa nobenih zdravil. Spi zelo dobro in ima pri svojih osmih križih veliko energije. Je aktivna članica v več društvih. Počuti se dobro in ima dovolj energije za vse dejavnosti. Redno se giblje na svojem vrtu, pešači ter je prostovoljka v domu upokojencev. Če ji čas dopušča, gre na sprehod po gozdu. Zlahka se sprehaja po deset kilometrov na dan. Nič je ne boli in ne občuti utrujenosti. Opaža, da zaradi presnojedstva ni samo bolj vitalna, temveč tudi bolj mirna, pozitivna, manj konfliktna, čustveno stabilna … »Prelomnica običajno nastopi po štiridesetem, petdesetem letu. Ali se človek spremeni ali pa gre v trpljenje in v bolezen,« je prepričana. Njen načrt je, da doživi sto dvajset let in da umre zdrava. Če pa bi že zbolela, ne mara nobenih operacij in posegov, ampak si želi, da ji pustijo, da v miru umre.

»Življenje je lahko zelo lepo, če ga človek živi naravno, preprosto, z odprtostjo in z ljubeznijo, brez strahu ter čim bolj povezan z naravo. Če tako živiš, je tudi dejavnikov stresa manj. Pač sprejmeš, kar ti življenje nudi, in se izogibaš negativnostim. Treba je živeti vsak trenutek svojega življenja v vsej njegovi popolnosti in hvaležnosti,« sklene naša sogovornica.

 48 - MAREC 2023post ji
in
je očistil telo
dušo
-
Opaža, da zaradi presnojedstva ni samo bolj vitalna, temveč tudi bolj mirna, pozitivna, manj konfliktna, čustveno stabilna …
Zlahka ohranja svojo težo, saj se s tovrstno prehrano ne da zrediti.
»Zaupaj v svojo osebno moč. To je vse, kar na tem skrivnostnem svetu sploh imaš.«
(Carlos Castaneda)

Dve babici

Ko sem bila še najstnica, je moja stara mama umrla zaradi raka. Čez približno dva tedna po smrti sem imela sanje, da sem prišla k njej in jo zagledala, kako stoji za vhodnimi vrati, v zeleni svetlobi stekla na vratih. Bila je tako lepa, urejena, z rjavimi navitimi lasmi, kot si jih je vedno barvala in urejala, ter čudovito obleko, kakršne si je šivala za življenja, saj je bila šivilja. Bila je videti stara okrog petinštirideset ali petdeset let. Na obrazu je imela blažen nasmešek in me je samo gledala.

Rekla sem: »Mama, a nisi ti umrla?« A ni mi nič odgovorila, samo mil nasmeh je bil na njenem obrazu. Še v sanjah sem v strahu stekla po stopnicah navzgor v naše stanovanje in se ozrla dol. Spodaj je nisem več videla, le zeleno svetlobo od stekla na vratih. Nato sem se zbudila. Zdaj vem, da mi je hotela zgolj sporočiti, da je v redu, na srečnem mestu, in naj ne skrbim zanjo.

Malo drugačna pa je bila posmrtna izkušnja, ki sem jo imela z babico od mojega moža, katere v življenju nikdar nisem videla niti spoznala. Imela pa je sporočilo za mojega moža, ne za mene.

Sanjala sem, da cela naša družina – oba moja otroka, jaz in mož – sedimo na kavču v dnevni sobi, ko smo zaslišali, kako nekdo z domačimi težkimi copati počasi drsa po hodniku proti nam. To je trajalo kar nekaj časa in že sem razmišljala, če lahko vsiljivca s čim udarim, in gledala, če je kakšen tak predmet na dosegu roke, nakar počasi pridrsa okrog vogala stara gospa z jeznim obrazom in se ustavi pred kavčem. Imela je krajše sive, na levo zaležane lase, zelene oči, velik, podolgovat obraz, oblečena je bila v siv puli in predpasnik ter obuta v težke domače copate. Gledala je mimo mene mojega moža in mu rekla: »Kaj se kar naprej nekaj bojiš? A se boš še do osemdesetega leta bal?« V tem tonu je še nekajkrat ponovila podobno.

V strahu sem se zbudila. Vedela sem, da to niso bile navadne sanje in da me je dejansko obiskala njegova babica. Ko sem možu povedala te sanje in sporočilo ter mu opisala babico, mi je potrdil, da je to ona. Kasneje pa sem pri tašči našla njeno sliko in se kar naježila, saj je na sliki točno taka, kot sem jo videla v sanjah, čeprav prej nikdar nisem videla, kako je izgledala. Maja 

Mnogim med nami se je `e pripetilo kaj nenavadnega. Opi{ite va{ resni~ni nenavaden dogodek, sre~anje, va{e sanje, ob~utke, jasnovidne utrinke, strah ... in napisano po{ljite na: Misteriji, Cigaletova 5, 1000 Ljubljana, ali info@misteriji.si - najbolj{e prispevke bomo objavili. Nagrada za objavljen prispevek je polletna naro~nina na revijo Misteriji.

Nenavadna doživetja
- MAREC 2023 - Misteriji 49 -JANUAR 17 - Misteriji 49
Vabilo k pisanju Ilustracija Miloš Lukman

Moč obžalovanja

Avtor: Daniel H. Pink

Prevod: Niki Neubauer

Založnik: UMco

Obseg: 300 strani

Format: 21 × 15 cm

Vezava: broširano

Cena: 24,90 €

Nakup: 051/307 777; Misteriji.si

Knjiga nas popelje na pot, da bomo obžalovanje sprejeli kot nepogrešljivo čustvo, da bomo znali uporabiti njegove številne prednosti za sprejemanje boljših odločitev, boljšo uspešnost pri delu in izobraževanju ter pridobitev večjega občutka smisla življenja. Avtorjeve razlage in napotki temeljijo na spoznanjih razvojnih in kognitivnih psihologov, ki so raziskovali notranji ustroj obžalovanja. Desetletja raziskav je strnjenih v dveh preprostih ugotovitvah: »Zaradi obžalovanja smo ljudje« in »Zaradi obžalovanja smo boljši«.

Obžalovanje je razvrščeno po področjih življenja: delo, družina zdravje, odnosi, finance … A skoraj vsa ob-

Nove knjige

žalovanja spadajo v štiri skupine: temeljna obžalovanja, obžalovanja pomanjkanja poguma, moralna obžalovanja in obžalovanja zvez.

Branje knjige nam odpre spoznanje, kako negativna čustva obžalovanja spremenimo v pozitivno sredstvo za izboljšanje življenja. Nauči nas, kako obžalovanja predelamo, postavimo v nov okvir in prilagodimo sedanjosti. Obžalovanje nam postane vedenjsko zdravilo, ki nam pomaga sprejemati modrejše odločitve.

Ekstrakt grenivkinih pečk

Avtor: Allan Sachs

Prevedel: Marjan Furlan

Založba: Mavrica

Format: 13,5 × 21,5 cm

Obseg: 150 strani

Vezava: broširano

Cena: 25,90 €

Nakup: 051/307 777; Misteriji.si

Ekstraktu grenivkinih pešk so nekdaj rekli »švicarski nož za obvladovanje klic«. Zdravnik in kiropraktik Allan Sachs v svoji knjigi razgrinja veliko učinkovitost tega izvlečka na podlagi izkušenj z njegovimi bolniki.

Zanimivo je široko polje delovanja izvlečka iz grenivkinih pečk – knjiga je vodič o možnostih naravnega zdravljenja prehladov, okužb, glivičnih obolenj, alergij, herpesa in drugih tegob. Izvleček iz grenivkinih pečk je varen in nestrupen, hkrati pa ima majhen vpliv na človeku koristne bakterije. Dejansko lahko pripomore k razmnoževanju koristnih bakterij, ker ovira razvoj patogenih mikrobov.

Izvleček iz grenivkinih pešk zelo redko izzove kako alergijo, če že, potem zaradi svoje kislosti vznemiri želodec ali črevesje. Pri vsem tem je biološko razgradljiv in za seboj ne pušča sle-

di kot prenekatera zdravila, ki se nazadnje znajdejo v pitni vodi.

V Sloveniji je izvleček možno kupiti, kako in kdaj pa smo z njim najbolj uspešni pri kandidi in vrsti drugih okužb in težav, pa je razloženo v knjigi.

Ukradena pozornost

Avtor: Johann Hari

Prevedla: Urška Pajer

Založba: Primus

Obseg: 290 strani

Format: 16,5 × 23,5 cm

Vezava: broširano

Cena: 27 €

Nakup: 051/307 777; Misteriji.si

Vse več ljudi se ne more več zbrati. In kako si znova pridobimo zmožnost poglobljenega razmišljanja?

O tem nam razlaga Johann Hari, pisatelj in pisec v vodilnih revijah; ponuja nam rešitve za naše vse šibkejše zmožnosti osredotočanja. Kajti zbranost je po vsem razvitem svetu vse manjša in manjša, posledice pa vzbujajo zaskrbljenost; tako se najstniki naenkrat posvečajo po-

samezni nalogi samo petinšestdeset sekund, pisarniški uslužbenci pa v povprečju le tri minute. Avtor ugotavlja, da življenje zaradi nenehnega preklapljanja med napravami in zavihki postaja vse bolj pusto in moreče. Sam je poskušal vse mogoče, za tri mesece je celo opustil rabo mobilnega telefona. A pravega učinka ni dosegel. In rešitev je iskal po svetu: obiskal je vodilne strokovnjake za človekovo pozornost in odkril, da so naše predstave o krizi pozornosti zmotne.

Prepričani smo namreč, da je nezmožnost osredotočanja osebna hiba in da bi lahko z močno voljo ukrotili odnos do svojih naprav. Resnica pa je še bolj skrb vzbujajoča: pozornost nam kradejo močne zunanje sile, zaradi katerih smo dovzetni za izkoriščanje korporacij, ki si našo pozornost prisvajajo za svoj dobiček. Knjiga pa nam daje možnost, da neosredotočenost ozdravimo in si znova pridobimo tako zelo potrebno pozornost.

50 - MAREC 2023 -

Horoskop za marec 2023

OVEN – Do 25. boste imeli možnosti, da se naučite česa novega, prenašate znanje na druge, se uveljavljate v javnosti, proučujete dokumente, trgujete, urejate pravne zadeve, okolico, opremljate prostor, zamenjate vozilo, registrirate poslovno dejavnost ali greste na potovanje. Venera v ovnu do 16. vam bo povečala priljubljenost, prihodke, sprejetje v kolektivu ali organu odločanja, poživila ljubezensko življenje ali koga skoraj privedla pred oltar.

BIK – Do 16. bo dobro snovati drzne projekte, se povezovati s pogumnimi ljudmi, proučiti pravne osnove za tisto, za kar se zavzemate, se javljati na razpise, svoje kreacije predstavljati v javnosti in upati si s svojo ljubeznijo osrečiti koga, ki vam ugaja. Pridobljeno boste nato utrjevali, če le ne boste pretiravali s trošenjem materialnih dobrin, denarja ali potrpljenja tistih, ki vas bodo imeli radi tudi v poslu.

DVOJČKA – Mars v dvojčkih vas bo poživljal ter vznemirjal in razboleval vašo dušo in telo do 25. Da do 18. ne boste prevečkrat v dilemi, premalo zbrani, omotični, boste potrebovali intenzivnejšo telesno vadbo, posvete s trdnimi ljudmi. Nezgodam in smoli se skušajte izogniti sredi marca. Na srečo vam bosta planeta ljubezni, denarja, družabnih stikov in erosa ter ukvarjanja s poslovno dejavnostjo ali poslanstvom prinašala radost, možnost za dodaten zaslužek, spremembo zaposlitve ali bivanja, reševanje pravnih vprašanj, sporov, potovanje, zdravljenje in zaljubljenost.

RAK – Od 25. boste najbolj dejavni in občutljivi. Prej pa boste čutili močnejše valovanje polne Lune 7., ki bo vzpostavljala navzkrižne energije z Merkurjem in Marsom, zaradi tega pa boste razpeti med različnimi deli, obveznostmi in osebami. Vaša natančnost se bo izkazala pri organiziranju velikega javnega dogodka, ustvarjanju česa zabavnega, opravljanju predpomladanskih del na prostem ali priprav na obnovitvena dela. Po 17. si lahko obetate več denarja ter skladnejše delovanje s partnerjem in kom, ki zna pokazati svoja čustva.

LEV – V prednosti boste tisti, ki ste ohranili optimizem, se izpopolnjevali in čakali, da se vam ponudijo priložnosti na več ravneh. Izkoristite jih po polni luni, a v sodelovanju s tisti-

V solarno-karakternem horoskopu dobite bolj osebno napoved, če preberete najprej besedilo za vaše Sončevo, nato pa še Ascendentno znamenje.

mi, ki so že kam prodrli, kaj uveljavili, se prestavili na ugodnejši položaj ali vidnejše mesto. Finančni tokovi vam bodo naklonjeni do 16. ter po mlaju 21. ali dva dni prej. Dokumente, status ali zdravje boste morali urediti do 23., sicer utegnete naleteti na težave. K popestritvi ljubezenskega življenja bo precej pripomogla oseba, rojena v ognjenem ali zračnem znamenju.

DEVICA – Vseh izzivov do konca stresnega vpliva Marsa na vas 25. še ne bo konec, saj prihaja od polne Lune v devici in prehoda Saturna v ribi 7. novo obdobje. Nekatere stvari ste načrtovali, druge se bodo pojavljale spotoma. Pazite le, da se ne zapletete v navzkrižje interesov, si zapravite zdravje, položaj ali vir prejemkov. Več denarja, sreče, boljšega razumevanja s podporniki, prijatelji, otroki ali ljubljeno osebo boste deležni po 17. Odnos s simpatijo lahko po 19. prerase v resno ljubezensko zvezo.

TEHTNICA – Do 16. boste delovali drzno, nastopaško, spogledljivo ali nesamozavestno, kar bo tiste, ki bodo razumeli vaša hrepenenja in počutje, zabavalo ali jim dalo priložnost za opravljanje. Kljub vsemu lahko dosežete zaželeno skupaj z drugimi na javnih nastopih, pogajanjih ali protestih, z ustreznimi utemeljitvami prebijete togo mišljenje in vplivate na sistemske spremembe, dvigovanje plače ali znižanje dajatev. Erotično življenje in zdravje bo nato umirjeno do materinskega dneva, ko lahko znova pričakujete razburljive dogodke doma in v partnerstvu.

ŠKORPIJON – Lahko vas izčrpa preveč razpršeno delovanje v službi ali pri njenem iskanju. Po 23. boste potrebovali mir, zbranost in vitalnost. Seznanjati se boste morali z novostmi v delovnih in drugih procesih, katerim se boste nekateri želeli izogniti. Po 17. bo mamljivejša in donosnejša priložnost zvabila koga k sklenitvi pogodbe, sprejetju dediščine ali preurejanju nepremičnine za trženje. Mars vam po 25. lahko pomaga v čustveni zvezi poglobiti ljubezensko razmerje in urejati družinske razmere.

STRELEC – Kljub neugodnim okoliščinam, slabšemu počutju in napetim odnosom do 25. vam bo Jupiter, planet rasti in napredka, skupaj z Venero prinašal denar ter pomagal postopoma nadaljevati z deli, ki ste si jih namenili opravljati v predpomladnem času. Če boste v službi ali pri drugem svojem poslanstvu omagali, vam bo Merkur od 19. prinašal nove priložnosti na drugih področjih, ki bi se hitreje uveljavljale z vašo pomočjo. Pri javnem aktivizmu bo kdo od somišljenikov postal vaš občudovalec, z gorečnostjo pa v vas vžgal iskrico ljubezni.

KOZOROG – Prelomnico v vašem življenju, delovanju, bivanju in čustvovanju bo prinesel prehod Saturna v ribi ob polni Luni 7. Od tam bo deloval na vas tvorno, zato ne dvomite v spremembe, ki se bodo dogajale pri vsem, kar počnete, v okolju, kjer živite, in v odnosih z osebami, s katerimi bi lahko pognali korenine ljubezni. Razdvojenost med več možnostmi bo koga plašila še do materinskega dneva, tedaj pa vas bodo dogodki spodbudili k ukrepanju. Denarni tokovi vam bodo po 17. naklonjeni, zato bi lahko tudi nepremičnino bolje unovčili.

VODNAR – S prehodom Saturna v ribi se bo tudi za vas pričelo daljše novo obdobje. Na spremembe bodite pripravljeni, saj bodo dobrodošle, ker bi lahko izboljšale vaš položaj, materialno stanje, kakovost bivanja, in poglobile čustvene vezi z več osebami. Kateri bo vaš srčni izbranec, vam bo bolj jasno po mlaju 21. Študijske, zaposlitvene, poslovne, pravne, nepremičninske in finančne zadeve urejajte s prepričanjem, da vam bo šlo dobro. Marsovo podporo boste dobili še prek skupnosti po 25.

RIBI – V precepu boste vsaj med polno Luno 7. do 25. Iz napornega stanja boste hoteli pobegniti drugam. Spremembe, če bodo na boljše, vam bodo dobro dele, kot je razvajanje v termalni vodi. Jupiter vas bo opogumljal, da posebno po 25. naredite pomembne korake naprej v domu, odnosih s sorodniki, pri urejanju površin za pridelovanje, bivanje, poslovanje ali oddajanje. Partnersko in starševsko vlogo boste občutili s podporo Venere od 17., ko boste dobili več denarja!

Pripravlja: astrolog prof. Stane Padežnik 

Solarno-karakterni
horoskop za leto Marsa in kitajsko leto Zajca
- MAREC 2023 - Misteriji 51

Test izgovorov za hujšanje

Zakaj pa ne bi shujšali?

Ko beseda nanese na hujšanje, imamo vsi pripravljene izgovore, zakaj nam še ni uspelo. Nekaterih se zavedamo, drugi so skriti v naši podzavesti. Podajamo vam test desetih izgovorov za hujšanje, ki jih je proučil angleški zdravnik Vernon Coleman. Poiščite tiste, ki vas najbolj mučijo, in jih poskušajte s pomočjo zdravnikovih nasvetov preseči.

Nimam časa za dieto. Prava dieta –tista, s katero boste shujšali za vedno –ne zahteva nobenega časa. Ne glede na to, kako zaposleni in nepogrešljivi ste, bi morali zmeraj najti čas za razumno prehrano in trajno izgubo odvečne telesne teže.

Imam težke kosti. Kosti tehtajo zelo malo in k vaši teži doprinesejo le nekaj kilogramov.

Vsi v moji družini so debeli, to imamo v družini. Morda ste res podedovali gensko nagnjenost k debelosti, a to sploh ni tako zelo pomembno. Prekomerna teža ni prevladujoč gen, zato ni nujno, da ste debeli samo zato, ker so debeli vaši starši ali stari starši. Če ste pripravljeni sprejeti nove prehranjevalne navade in opustiti slabe, bi morali biti sposobni shujšati in ostati vitki.

Partner raje vidi, da imam nekaj mesa na kosteh. Drži, da večina moških raje vidi, da imajo njihove partnerice nekaj oblin. Če se sklicujete na ta izgovor, potem slecite vsa oblačila in se postavite pred ogledalo. To, kar vidite, vidi tudi vaš partner. Bodite iskreni do sebe: bi se opisali kot zaobljeni ali debeli?

Ne želim se omejevati pri hrani; to je moje edino zadovoljstvo. Nič ni na-

robe, če uživate v hrani. Če pa je to za vas edina radost, potem je z vami nekaj narobe. Najti morate nove cilje, ambicije, upanje, težnje.

V moji starosti ima vsak čezmerno telesno težo. Večina ljudi se s starostjo res nagiba k prekomerni teži. Prvič zato, ker se z leti čedalje manj gibamo, in drugič, ker imamo v starosti več časa in ga več posvečamo tudi prehrani. A to ni opravičilo; treba je le popaziti, da ne pojeste preveč in da čim več telovadite.

Ne morem se držati diete, ker moram velikokrat jesti zunaj. V restavraciji nihče ne sili gostov, da izberejo najbolj kalorično hrano ali da pojedo vse, kar jim prinesejo na mizo. Lahko nadzorujete svojo težo tako kot vsi drugi, le dovolj volje morate imeti za to.

Ne morem si privoščiti dietne hrane. Ni vam treba kupovati posebnih živil, naročati tablet ali obiskovati dragih tečajev. Jejte po pameti in predvsem manj. Vsakdo, ki si lahko privošči hrano, si lahko privošči tudi dieto.

Hujšanje je seksistično, ne želim pametovanja. Za našo pozornost se poteguje prehranska industrija, ki nas želi prepričati, da jemo čim več, po drugi strani pa zagovorniki raznih diet, ki želijo prodati svoje izdelke. Ne zmenimo se za njihova nagovarjanja in trditve, s katerimi vršijo pritisk na nas. To, da se racionalno prehranjujete in vzdržujete primerno težo, delate sami zase. Sledite sebi.

Več o zdravem prehranjevanju, ki nam prinese zdravo težo, se poučimo v »Priročniku za zdravo prehranjevanje« avtorja Vernona Colemana (Misteriji.si; 24,90 €).

Krivi so moji hormoni. Če so krivi vaši hormoni, se nemudoma posvetujte z zdravnikom. Toda oseb, ki jim čezmerno težo povzročajo hormoni, je bolj malo, ljudi, ki so debeli zaradi prenajedanja, pa je zelo veliko.

D. N. 
52 - MAREC 2023TEST
Če smo še tako zaposleni, lahko zmeraj najdemo čas za razumno prehrano in trajno izgubo odvečne telesne teže.

Mali oglasi

POŠTENO, ISKRENO IN UGODNO vam svetuje Darja Gaja s pomočjo Ji džinga, ciganskih, Lenormand in Tarot kart. 040/271 835; marjetica.vedezevanje@gmail.com

Marjetica vedeževanje s.p., Drakovci 52, 9243 Mala Nedelja

APITERAPIJA – Vdihavanje zraka iz čebeljega panja. Lokacija Gorenjska. Info in naročila: Medikoel d.o.o., Jalnova cesta 2, 4240 Radovljica; tel.: 041/618 775, 04/537 85 10.

Medikoel d.o.o., Jalnova cesta 2, 4240 Radovljica

ASTROTAROT MAGIJA IZIDA – 090

54 50 – Vprašajte Zvezde ali Tarot! Razjasnitev življenskih situacij; zdravje, ljubezen, kariera, odnosi, dom, finance ... Če veste, ste v prednosti! 1,29 €/min. Vedeževanje in astrološko svetovanje!

Zelnik Suzana s.p.

SVETOVANJE-VEDEŽEVANJE –

telefonsko ali osebno, 25 € do pol ure, 50 € 1 ura ... Ugodnejše kot številke 090!

Info: 030/661 774 ali vita.svetovanje@ gmail.com

Društvo Vita Pivka, Postojnska 12, 6257 Pivka

VEDEŽ – PREROK – REIKI terapevtka, izvajam tudi na daljavo. Intuitivno svetovanje, jasnovedne, jasnovidne, jasnočutne, stvarne zaznave stvari, ljudi in dogodkov, izveste takoj, tukaj in zdaj! Cena

2,19 €/min. Pokličite 090/43 39 ali 051/856 022! Elektro Dušan, Dušan Štraus s.p., Šentiljska cesta 114, Maribor

ŽELITE POKUKATI V PRIHODNOST?

Storite to z izkušenimi. Vedeževanje in svetovanje na 090/43 85.

Cena 1,99 €/minuto z DDV za klicatelje iz omrežja Telekom, ceno za klice iz drugih omrežij določajo operaterji – ponudniki storitev.

KOMPLET »ZDRAV OB RAČUNALNIKU«

(Blazina za zemljenje + Steklenica Polarix)

Blazina za zemljenje nas poveže z naravno zdravilno energijo zemlje tako, kot da bi hodili bosi. Položimo jo pred tipkovnico. Hkrati je odlična podloga za miško. Ko smo z rokami na blazini, prek posebnega vtiča jo priključimo v vtičnico, smo v stiku z zemljo. Tedaj prosti negativno nabiti elektroni iz zemljine površine prodrejo v človeško telo, kjer nevtralizirajo pozitivno nabite proste radikale, ki jim elektronov manjka. Prosti radikali ali reaktivne kisikove spojine pa so tiste, ki povzročajo kronična vnetja, vzrok mnogih degenerativnih bolezni. Ob ozemljitvi elektroni potujejo skozi prevodno telo na mesto, kjer jih manjka. Poiščejo proste radikale in se z njimi povežejo.

Izidi žrebanja za nagradno križanko št. 336

Prva nagrada (letna naročnina na revijo Misteriji): Jelka Pogorelčnik, Pavčkova ulica 1, 2380 Slovenj Gradec

Druga nagrada (polletna naročnina na revijo Misteriji): Gordana Vranić, Ulica pod Smreko 6, 8340 Črnomelj

Tri tretje nagrade (knjiga založbe ARA): Francka Omejc, Studenčice 2, 1215 Medvode Vida Dobrin, Kovorska cesta 49, 4290 Tržič Helena Brečko, Koritno 17, 4260 Bled

Nagrade bomo poslali po pošti.

Rešitev nagradne križanke št. 336: Vodoravno:

MAKRA AS Krajner Marko s.p., Saveljska 96 pe, Kvedrova 3, Ljubljana

Mali oglasi v Misterijih

Enotna cena za mali oglas je 25 € z DDV do največ 30 besed. (Telefonska številka, e-naslov ali spletna stran štejejo kot ena beseda). 10 % popusta za tri, 15 % popusta za več kot tri zaporedna naročila. SPREJEM oglasa na info@misteriji.si ali na Misteriji, Cigaletova 5, 1000 Ljubljana. Rok za sprejem je do 10. v mesecu za naslednji mesec. Informacije: 01/231 9360.

Od povezave z zemljo – pravimo mu zemljenje – pričakujemo zmanjšanje vnetij, bolečin in blaženje stresa. Izboljša se pretok krvi in poveča vitalnost.

Steklenica Polarix poskrbi, da ob delu z računalnikom popijemo tudi kaj čim bolj naravne vode. Ustvari jo iz laboratorijskega borosilikatnega stekla ulita pollitrska Steklenica Polarix. Na dnu ima disk polarix, ki iz okolja kot antena zajema bioenergijo ter razdružuje grozde molekul, ki se tvorijo v vodi, ko le-ta teče po dolgih ceveh. Ustvari »vrtinčasto« vodo, ki z lahkoto steče po vodnih kanalčkih v celičnih opnah, ki merijo v premeru le 0,3 nanometra. Tudi premer vodnih molekul, ki imajo obliko tetraedra, znaša le nekaj manj kot 0,3 nanometra. Skozi kanalčke torej lahko potujejo samo posamične molekule vode! Da telo grozde vodnih molekul razdruži, porabi precej energije, ki jo sicer potrebuje za samozdravljenje. In steklenica Polarix mu samozdravljenje omogoča.

Cena: 69 €

Naročila: Misteriji.si, 051/307 777

SMEJAVKA, KARAMBOL, AJDNA, NV, LD, SNAGA, PARE, JOR, ČESEN ZA, BS, ALEF, DRIL, PODOBOPIS, PEPE, NU, SLAVOLOK, VERONAUK, IG, RAJMOND, AMELIA, HALA, ŠI, AOSTA, OTS, OKO, LINHART, GUS, PAMPA, AB, APARTMA, AC, IVANA, SREČA, AZ, TJAŽ, LASTNIK, GARI, KASETAR, RENEGATKA, ANIMIST, STALINIST.

Nagradni pojmi:

ČESEN ZA BOLJŠI SPOMIN

Rešitev s pripisom KRIŽANKA 337 pošljite do 15. marca na naslov Misteriji, Cigaletova 5, 1000 Ljubljana, ali na e-naslov info@misteriji.si. Izžrebali bomo pet nagrajencev, ki jih čaka:

1. nagrada: letna naročnina na revijo Misteriji

2. nagrada: polletna naročnina na revijo Misteriji

3.-5. nagrada: knjiga ARA založbe

- MAREC 2023 - Misteriji 53

MOČ PRAVEGA TRENUTKA

Naša biološka ura vpliva na vsako delovanje našega telesa in uma. V knjigi ugotovimo, kateri »kronotip« smo in kdaj je najboljši čas za vse, kar počnemo: jemanje zdravil, načrtovanje družine, pogovor z otroki 29,90 €

NAČRT DUŠE

Ima naše trpljenje sploh kak smisel? Knjiga nam odkriva pravi pomen življenja, katerega kot duša sami načrtujemo pred svojim rojstvom – v življenju pa načrtovane izzive zavestno uporabimo za svojo duhovno rast in zdravljenje. 24,90 €

PREKINITVENI POST

Človek je bolj prilagojen za občasno pomanjkanje kot za stalno hranjenje. Če uživamo hrano samo v »oknu« petih do osmih ur, jo lahko telo dobro prebavi, vsrka hranila in izloči odpadne snovi. 19,90 €

KNJIŽNA ZBIRKA KAKO

KAKO SE ZDRAVIMO Z MAGNETNIMI POLJI

Z magnetnimi polji lahko doma zdravimo številna obolenja. Knjiga bo pripomogla, da bo več milijonov protibolečinskih tablet ostalo neuporabljenih ter da bo veliko število operacij in dni bolnišničnega zdravljenja preprosto nepotrebnih. (e-knjiga 11,90 €)

KAKO NAVEŽEMO STIK Z UMRLIMI

ZDRAVI PRI STOTIH

Knjiga nam prinaša spoznanje, da si lahko življenjsko dobo in dobro zdravje dramatično podaljšamo. In nas pouči, kako v svojih preostalih letih znova pridobiti strast do življenja in doživeti razcvet svojega najlepšega in najmodrejšega jaza. 29,90 €

ŽVRKLJANJE OLJA

Žvrkljanje olja je ena najmočnejših oblik zdravljenja. Najbolj očiten rezultat so bolj zdravi zobje, a pomaga pri skoraj vseh boleznih. Če bi redno čistili telo z žvrkljanjem olja, bi življenjsko dobo podaljšali na 140 let. 17,90 €

ŽIVLJENJSKI SLOG, KI RAZVELJAVI BOLEZNI

Preprost, a radikalen program zdravljenja z življenjskim slogom, opisan v knjigi, pogosto ustavi napredovanje najpogostejših kroničnih bolezni ali jih pomaga preprečevati. Ter upočasni škodo zaradi staranja na celični ravni. 24,90 €

Knjiga vas nauči, kako posnamete elektronske glasovne fenomene z diktafonom, posnamemo duhove z videokamero, spodbudimo duhove, da uporabijo računalnik ali telefon, vzpostavimo telepatski kontakt z umrlimi … (e-knjiga 3 €)

KAKO UPORABLJAMO NIHALO IN BAJALICO

Po napotkih v knjigi lahko odkrivate vodo, izgubljene predmete, pogrešane ljudi in škodljiva sevanja. Z radiestezijo tudi diagnosticirate in lajšate bolezni, razvijate intuicijo … (e-knjiga 16,90 €)

KAKO VEDEŽUJEMO IZ CIGANSKIH KART

Knjiga s podobami ciganskih kart nam bo v pomoč kot oseben vodnik, pa tudi za poslovno vedeževanje. V priročniku nas slovenska avtorica uči o umetnosti vedeževanja ter razlaga pomen vsake od šestintridesetih kart. (19,90 €, e-knjiga 13,90 €)

KAKO SE NAUČIMO AVTOMATSKEGA PISANJA

Priročnik, ki vas pouči, kako prek avtomatskega pisanja vzpostavite stik z Višjim jazom, ki vas vodi in vam svetuje, komunicirate z drugimi bitji, ki vam posredujejo različne informacije, dobite odgovore ... (e-knjiga 10,90 €)

KAKO ZDRAVIMO Z BARVAMI

MODROST DUŠ

Zgodbe ljudi, ki so jim hipnoterapije Življenje med življenji pomagale razrešiti družinske spore, se spoprijeti z zdravstvenimi težavami, izboljšati ljubezenska razmerja, napredovati na poklicni poti, premagati depresijo … 24,90 €

VZEMITE ZDRAVJE V SVOJE ROKE

Avtorica je odkrila, da industrija hrane in zdravil obvladuje zdravje in zdravljenje v luči svojega pohlepa. Zato spodbuja odgovornost do samega sebe in nam pove, kako lahko mnoge bolezni pozdravimo brez zdravil. 24,90 €

Barvna terapija ni čarobno zdravilo za vsa obolenja, vendar barve na nas vplivajo bolj kot si mislimo. Barvna terapija je preventivna nega, s katero odgovorneje in aktivneje sodelujemo pri vzdrževanju lastnega zdravja. (13 €, e-knjiga 8 €)

KAKO RAZBEREMO OSEBNOST IZ PISAVE

Knjiga ponuja vedenje, kako v pisavi prepoznate lastne osebnostne značilnosti, prebudite lastnosti, prepoznate svoje speče talente, dobite razumevanje o ravnanju drugih, oblikujete svoj podpis, ki bo razkrival vačo samopodobo … (e-knjiga 3 €)

KAKO ZDRAVIMO Z ZVOKOM

Vsak človek je glasbeni inštrument, ki niha v razponu kozmičnih vibracij. Knjiga opisuje, kako z zvoki, glasbo in lastnim glasom uravnovešamo in zdravimo sebe in druge. (19,90€, e-knjiga 14,90 €)

KAKO VIDIMO, BEREMO IN IZBOLJŠAMO AVRO

Priročnik za spoznavanje avre in razlage, kako se jo naučimo gledati in spoznavati njen pomen; kako nam avra kaže na podlagi bioenergijskih zevov duševno in telesno stanje. (e-knjiga 5,90 €)

KAKO BEREMO USODO Z DLANI

ZDRAVLJENJE

Z RDEČO SVETLOBO

Z resničnimi uspešnimi zgodbami, ki jih podpirajo najnovejše znanstvene raziskave, knjiga razlaga, kako lahko rdeča in bližnja infrardeča svetloba obvladata bolečino, pomagata proti staranju in izboljšata vaše zdravje. 19,90 €

ZAKAJ SE RODIMO IN ZAKAJ UMREMO

Je rojstvo stvar usode? Zakaj se človek rodi, če na koncu umre? V knjigi se avtor, hipnoterapevt in jasnovidec, ukvarja z vprašanji, kaj, kdo, zakaj, od kod, smisel vsega … 14,90 €

KAKO OZDRAVIMO S HRANO

Zdravnik, ki je napisal to knjigo in po svojem pisanju tudi živi, zatrjuje, da je večino smrti zaradi bolezni mogoče preprečiti. Naša prehrana je vodilni vzrok prezgodnje smrti in vodilni povzročitelj vseh naših bolezni. 29,90 €

KAKO ZNIŽATI VISOK

KRVNI TLAK BREZ ZDRAVIL Visok krvni tlak škoduje zdravju in krajša življenjsko dobo. Z načinom življenja, temelječem na gibanju in zdravem prehranjevanju, lahko visok krvni tlak za vedno znižamo tudi brez vsakodnevnega jemanja zdravil. 24,90 €

Izbrane knjige naročimo po telefonu (med 8. in 16. uro): 01/549 17 92 ali 051/307 777; e-pošti: info@misteriji.si ali na spletni strani www.misteriji.si

Priročnik izčrpno opisuje, kako iz črt na dlani izračunamo razne datume in življenjska obdobja. Dlan razkriva človekov značaj, zdravje, temperament in celo usodo. (e-knjiga 10,90 €)

KAKO SE ZNEBIMO OČAL

Ko odpravimo zastarele vzorce v svoji zavesti, obnovimo tudi svoj vid. Zato je poleg poglavja z vajami dobršen del knjige namenjen uporabi uma kot orodja za izboljšanje vida. (e-knjiga 9,80 €)

KAKO POVEČAMO SAMOZDRAVILNE SPOSOBNOSTI

Sami lahko veliko storimo za svoje zdravje. Napotki za klistiranje, post, telesno vadbo in savnanje. Kako, koliko in kdaj naj bi jedli, da bi spremenili svoj svet zdravja. (e-knjiga 6 €)

KAKO VPLIVAJO OSEBNA ŠTEVILA

Osebna števila nam pomagajo ustvariti lepše življenje, z njimi lahko pokukamo v preteklost, razumemo sedanjost in načrtujemo prihodnost. (12,10 €)

ARA ZALOŽBA
– 051/307 777– Spletna knjigarna www.misteriji.si

Ta knjiga je izčrpen (500 strani!)

astrološki almanah za leto 2023, ki:

• opisuje vaše osebne lastnosti in lastnosti ljudi, za katere se zanimate;

• razgrinja, kaj lahko vsak mesec letošnjega leta pričakujete, ne glede na to, kdo ste in kje ste;

• opozarja na ugodne dneve za vsa vaša početja.

Cena: 24,90 €

Poštnine ni!

Naročila: Misteriji.si; 051/307 777

Astrološke napovedi za leto 2023

ARA založba d.o.o.

Turn static files into dynamic content formats.

Create a flipbook
Issuu converts static files into: digital portfolios, online yearbooks, online catalogs, digital photo albums and more. Sign up and create your flipbook.