Revista Bioreview Edición 139 - Marzo 2023

Page 1

Editorial RW S. A.

A. Gonzalez 1351,Guaymallén. Mendoza Argentina. CP: 5525

Tel. : +54 261 491 3211 - Skype: revista.bioreview

Director General de Medios

Dr. Sergio A. Sainz ssainz@rwgroup.com.ar

Directora de Contenidos

Dra. Griselda Basile gbasile@rwgroup.com.ar

Social Media Manager / Agente Comercial de Cuentas Cyntia Perez info@rwgroup.com.ar

Directora de Arte y Desarrollo Digital Lucía Zandanel Terán arte@rwgroup.com.ar

Sitios Web www.revistabioreview.com www.cubranews.com.ar www.rwgroup.com.ar

Agradecimientos Enfermería Investiga

Panunzio R., Amelia P. Ullmann, T. E.

Revista Argentina de Endocrinología y Metabolismo

Revista Medicina Legal de Costa Rica

Vargas Torres, Edgar Andrés

Registro de la Propiedad Intelectual Nº: En trámite - Revista Bioreview® es propiedad intelectual de RW S. A. - A. González 1351,Guaymallén. Mendoza Argentina. Tel.: +54 261 4313686 - Cel.: +54 261 3345353 - La marca Revista Bioreview® es propiedad de RW S. A. Revista Bioreview® en formato impreso es una publicación mensual de suscripción paga. Las ideas u opiniones expresadas en las notas son responsabilidad de sus autores y no representan el pensamiento de RW S.A. y las firmas anunciantes, quienes deslindan cualquier responsabilidad en ese sentido. Se prohíbe la reproducción total o parcial del material incluido en esta revista por cualquier medio conocido o por conocerse. El uso del contenido de esta revista queda bajo exclusiva responsabilidad del usuario. Impreso en Artes Gráficas BUSCHI S.A. Ferré 2250,1437 Buenos Aires, Capital Federal, Argentina.

Bioquímico Sergio Sainz Director General de Medios ssainz@rwgroup.com.ar Bioquímica Griselda Basile Directora de Contenidos gbasile@rwgroup.com.ar Cyntia Perez Social Media Manager info@rwgroup.com.ar DI Lucía Zandanel Terán Directora de Arte y Desarrollo Digital arte@rwgroup.com.ar

Sumario

Diagnóstico Clínico Aplicado 06

Diagnóstico Clínico Aplicado 22

Implicancias de la enfermedad intestinal inflamatoria en el metabolismo fosfocálcico

La enfermedad intestinal inflamatoria comprende un grupo de afecciones intestinales crónicas idiopáticas, siendo las dos formas principales la enfermedad de Crohn y la colitis ulcerosa. Su incidencia es variable de acuerdo al área analizada y se encuentra in crescendo a nivel global. Entre las complicaciones extraintestinales se encuentra la baja masa ósea, que puede conducir a osteopenia, osteoporosis y fracturas. Su prevalencia es elevada y varía según los estudios analizados. La fisiopatogenia es multifactorial y parcialmente entendida, incluye factores de riesgos generales para toda la población y otros que son específicos de la enfermedad o presentan particularidades. En cuanto a las recomendaciones sobre screening y tratamiento, son extrapoladas de otras guías de osteoporosis,... Página 06

Se producen normalmente entre 0.5-1 g de cadenas livianas libres cada día por las células plasmáticas en médula ósea y en los nódulos linfáticos. Pasan a sangre y se distribuyen rápidamente en los dos compartimentos: Intravascular y Extravascular.

Las cadenas livianas libres kappa (κ) y lambda (λ) se producen en exceso con respecto a las cadenas pesadas, para asegurar la perfecta conformación de las inmunoglobulinas intactas. La producción de cadenas kappa libres es el doble de las cadenas livianas libres lambda, encontrándose las cadenas kappa en estado monomérico y las cadenas lambda en general en estado dimérico o formando algún polímero. Página 22

CADENAS LIVIANAS LIBRES. Freelite & Hevylite

Diagnóstico Clínico Aplicado 30

Gestión de la Calidad 72

Análisis médico legal de la toxicomanía por MDMA: reporte de caso

El análisis por toxicomanía representa un proceso común solicitado por la Autoridad Judicial para determinar si un usuario presenta hallazgos compatibles con el uso de una droga a nivel clínico, componentes histológicos, patológicos y toxicológicos que puedan generar su uso. Es necesario destacar las limitaciones del ambiente clínico donde se pueden generar múltiples hallazgos, y de la toxicología forense donde a pesar de la especificidad a la que se asocia; también se encuentra limitada por la capacidad de sus equipos tecnológicos. La resonancia magnética nuclear cuantitativa de hidrógeno representa grandes ventajas al demostrar la presencia de una droga ilegal, así como la posibilidad de disminuir costos y tiempo laboral. El uso del MDMA como tratamiento con una reciente aprobación para un estudio de fase III por la FDA, también requiere que se valore el motivo de su uso, por lo que para realizar un análisis médico legal se contemplaron Página 30

Agenda de Formación 80

Formación con modalidad Online y Presencial en todo el mundo. Página 80

Evaluacion externa de la calidad del Laboratorio Clínico

En la actualidad el laboratorio clínico evoluciona adaptándose a cambios científicos tecnológicos, organizativos y de gestión, inducidos por los avances en el campo de la medicina, nuevas pruebas y metodologías analíticas, así como la creciente sensibilización y expectativas de los usuarios por disponer de servicios y productos de mayor calidad; en toda esta perspectiva el éxito ante los nuevos desafíos para mejorar su eficacia, dependerá de su desempeño a la vanguardia de la gestión de la calidad, asegurando el logro de los mayores beneficios posibles para la salud del paciente y procurando el óptimo uso de los recursos disponibles en todo su proceso. Sobre esta base, resulta indispensable un sistema de gestión... Página 72

Índice de Auspiciantes 90

Nuestros Patrocinantes siempre presentes.

Página 90

Implicancias de la enfermedad intestinal inflamatoria en el metabolismo fosfocálcico

1“Servicio de Endocrinología, Metabolismo y Medicina Nuclear”. Hospital Italiano de Buenos Aires

MONOGRAFÍA

Revista argentina de endocrinología y metabolismo - versión On-line ISSN 1851-3034

Rev. argent. endocrinol. metab. vol.56 no.3 Ciudad Autónoma de Buenos Aires set. 2019

Av. Díaz Vélez 3889 - (C1200AAF) - Ciudad Autónoma de Buenos Aires - República Argentina - Tel. (54 11) 4983-9800 raem@saem.org.ar, raem@raem.org.ar

Resumen

La enfermedad intestinal inflamatoria comprende un grupo de afecciones intestinales crónicas idiopáticas, siendo las dos formas principales la enfermedad de Crohn y la colitis ulcerosa. Su incidencia es variable de acuerdo al

área analizada y se encuentra in crescendo a nivel global. Entre las complicaciones extraintestinales se encuentra la baja masa ósea, que puede conducir a osteopenia, osteoporosis y fracturas. Su prevalencia es elevada y varía según los estudios analizados. La fisiopatogenia es multifactorial y parcialmente entendida, incluye factores de

6 Revista Bioreview®

riesgos generales para toda la población y otros que son específicos de la enfermedad o presentan particularidades. En cuanto a las recomendaciones sobre screening y tratamiento, son extrapoladas de otras guías de osteoporosis, donde la base fisiopatogenia es diferente. Finalmente, a pesar de que se reconoce el riesgo aumentado de pérdida ósea en este grupo de pacientes, existe una baja adherencia de los médicos al uso de las guías. Por lo cual, sería importante continuar con la educación médica, para poder realizar un reconocimiento temprano de la enfermedad ósea e implementar estrategias de tratamiento oportunas.

Palabras clave: osteoporosis; enfermedad inflamatoria intestinal; vitamina D

Introducción

La enfermedad intestinal inflamatoria (EII) comprende un grupo de afecciones intestinales crónicas idiopáticas, siendo las dos formas principales la enfermedad de Crohn (EC) y la colitis ulcerosa (CU)1,2. Su incidencia es variable de acuerdo al área analizada y se encuentra in crescendo a nivel global. Según una revisión sistemática publicada en 2012, en América del Sur la incidencia de EC es de 1-3 por 100.000 por año, elevándose a 34 en áreas urbanas1.

La EII se caracteriza por la inflamación crónica autoinmune del tracto gastrointestinal (GI), con manifestaciones clínicas intestinales y extraintestinales1. Las complicaciones extraintestinales se presentan en el 40% de los pacientes, entre ellas se encuentra la disminución de la densidad mineral ósea (DMO), la cual conduce a osteopenia y osteoporosis3.

Las fracturas osteoporóticas son una de las causas principales de morbilidad y mortalidad, contribuyendo al aumento del costo de salud. La prevalencia en EII es variable, dependiendo de la población estudiada, la localización y el diseño del estudio4. Su fisiopatología es compleja, multifactorial y parcialmente entendida5. Su evaluación es frecuentemente desestimada en el manejo de la enfermedad3,6. Respecto del tratamiento, muchas guías se extrapolan de aquellas para el manejo de la osteoporosis en la posmenopausia o secundaria a glucocorticoides (GC), donde la fisiopatogenia es distinta7.

Los objetivos de esta monografía son: conocer la prevalencia de baja DMO en EII, comprender y jerarquizar los factores de riesgo asociados, y conocer el manejo de estos pacientes en el ámbito ambulatorio. Para llevarlos

a cabo, se realizó una revisión bibliográfica de artículos, guías y metaanálisis, publicados en revistas de interés científico.

Características generales y fisiopatogenia de CU y EC

La fisiopatología en la EII parece ser el resultado de una descomposición del equilibrio homeostático entre la inmunidad de la mucosa del huésped y la microflora entérica. El daño en la barrera epitelial, posiblemente debido a cambios en la expresión de proteínas de unión, conduce a una mayor permeabilidad y el acceso de antígenos luminales a la lámina propia8,9. Esta se encuentra poblada por macrófagos y células dendríticas que presentan antígenos a las células B y T, activando la inmunidad adaptativa. En la CU ésta se encuentra mediada por células T helper 2, que a través de células T Natural Killers producen interleucina (IL) 5 y 13 y factor de necrosis tumoral alfa (TNF-a)8. Mientras que en EC es mediada por células

T efectoras T helper 1, que secretan IFN-y, TNF-a, IL 17 y 229. Además, en ambas se encuentran disminuidas las células T helper reguladoras, productoras de IL-108,9.

Estas citoquinas proinflamatorias regulan positivamente la expresión de moléculas de adhesión y sustancias quimioatrayentes, que promueven la adhesión de leucocitos y la extravasación en el tejido, perpetuando y amplificando el ciclo de inflamación8.

Prevalencia de baja DMO y riesgo de fractura en la EII

La EII se ha asociado con baja masa ósea y una alta prevalencia de osteopenia. Sin embargo, los estudios que evalúan el riesgo de fracturas son escasos y han presentado resultados controvertidos3. Existen factores que podrían llevar a una sobreestimación de la verdadera prevalencia: los pacientes incluidos provenientes de centros de atención de tercer nivel son más propensos a tener una enfermedad más grave o haber sido tratados con corticosteroides. Además, los pacientes referidos para el estudio de la DMO son aquellos que probablemente tengan otros factores de riesgo para el desarrollo de osteoporosis10. Mientras que otros elementos pueden conducir a una subestimación: no todos los pacientes son referidos para evaluación ósea y existen fracturas clínicamente asintomáticas. Los estudios que incluyeron mayor número de pacientes: Adriani10, Berstein11, Khan12 y Komaki13, han reportado una prevalencia elevada de baja DMO en EII.

7 Diagnóstico Clínico Aplicado Año XII · Número 139 · Marzo 2023
8 Revista Bioreview

También los pacientes con EII presentan mayor riesgo relativo de fracturas, 40% mayor comparados con la población general. Se estima una prevalencia de 22-77% para osteopenia y de 17-41% para osteoporosis, que varía de acuerdo a la población, localización y diseño de los estudios14.

Factores de riesgo para osteoporosis en EII

La patogénesis de la baja masa ósea en EII es compleja y multifactorial. Incluye factores de riesgo generales para osteoporosis y otros específicos de la enfermedad o que presentan particularidades6. Dentro de los primeros se encuentran: malnutrición, bajo Índice de Masa Corporal, hormonas sexuales, genética, consumo de tabaco y opioides. Dentro de los segundos se encuentran: corticoterapia, cirugía, deficiencia de vitamina D y proceso inflamatorio6. Estos 2 últimos presentan características interesantes que podrían repercutir en el screening y el tratamiento de los pacientes.

Proceso Inflamatorio

En la EII es difícil separar el impacto de los esteroides en la baja DMO de la actividad de la enfermedad. Esto se debe a que la mayoría de los estudios fueron realizados durante el seguimiento y no al inicio del diagnóstico. Además, los pacientes que utilizan corticoides generalmente tienen una enfermedad más activa. Se tendrá en cuenta que el grado de inflamación intestinal varía durante el curso de la enfermedad, que los síntomas sólo se correlacionan débilmente con la actividad inflamatoria, y que la magnitud de la inflamación intestinal requiere visualización endoscópica y confirmación histológica3.

La EII es fundamentalmente un trastorno inflamatorio y existen numerosos mecanismos a través de los cuales la inflamación sistémica puede afectar negativamente el metabolismo óseo. La respuesta inmune asociada con la EII está mediada por células T que producen grandes cantidades de las citoquinas proinflamatorias, varias de las cuales están involucradas en la activación de los osteoclastos, como IL-1, TNF-a, IL-6, IL-11, IL-15 e IL-174,15. Además, las células T aumentan la producción del ligando del receptor del factor activador nuclear B (RANKL) y osteoprotegerina (OPG). Por su parte, el TNF-a estimula la osteoclastogénesis y la inhibición de la función de los osteoblastos, suprime la actividad del factor de crecimiento de insulina (IGF-1) y eleva la esclerostina16.

El impacto de estos factores se examinó en un proyecto en el cual se evaluaron ratas masculinas jóvenes dividas en 2 grupos: con EII inducida y el grupo control. Luego de 4 semanas los resultados demostraron pérdida de volumen del hueso esponjoso, aumento de la resorción ósea y disminución de la formación ósea en las ratas con EII. Dichos cambios a nivel óseo correlacionaron con mayor daño del epitelio intestinal, pérdida de las criptas, aumento de la celularidad, edema en el colon, aumento de la prevalencia de osteocitos positivos para TNF-a, IL-6, RANKL, OPG, IGF-1 y esclerostina, en los fémures proximales (Figura 1). Por lo tanto, este estudio confirma a través de un modelo animal, que la magnitud de la pérdida, el aumento de la resorción y la disminución de la formación ósea están asociados a la inflamación crónica iniciada por la patología Gi16.

Los estudios a nivel poblacional en pacientes con EII demostraron que la incidencia de osteopenia-osteoporosis aumenta con la duración de la enfermedad y el número de hospitalizaciones, en tanto existe mayor DMO en los pacientes con períodos prolongados de remisión17,18.

A pesar los datos recolectados, todavía hay necesidad de grandes estudios epidemiológicos de casos y controles, con el fin de demostrar una asociación causal entre la pérdida de DMO y EII.

Deficiencia de vitamina D

La deficiencia de vitamina D es frecuente en los pacientes con EII, incluso desde el momento del diagnóstico19-21. Dentro las causas de deficiencia de vitamina D, se encuentra la exposición inadecuada a la luz solar, el consumo insuficiente en la dieta y la malabsorción secundaria a anastomosis íleo-anal con reservorio (PAIR)22-24.

Además de sus funciones endocrinas, la vitamina D tendría un rol importante en la inmunidad innata y adquirida. La unión de la vitamina D a sus receptores (VDR) regula la transcripción de genes. Este receptor se encuentra ampliamente expresado en distintos tejidos; muchos de ellos tienen la enzima para convertir a su metabolito activo, apoyando su rol extraesquelético25. El tratamiento con vitamina D3 activa de forma experimental redujo la proliferación de células dendríticas, células T y la producción de IL-2, IL-17, IL-21, IFN-c y TNF-a, y estimuló a las células Th reguladoras. De igual modo, tanto en modelos animales como in vitro, se demostró que la vitamina D juega un papel en la regulación de la severidad de la EII 25-28.

10 Revista Bioreview®

Figura 1: Tinción inmunohistoquímica de osteocitos para la densidad y el porcentaje de TNF-a positivo, IL-6, IL-10 e IGF-I. (A) La densidad esponjosa de osteocitos. (B) La densidad de osteocitos en el hueso cortical metafisario y en el eje cortical. (C) % de osteocitos TNF-a. (D) % de osteocitos IL-6. (E) % de osteocitos IL-10. (F )% de osteocitos .

NEGRO: EII, GRIS: controles. Adaptado de Metzger y col. Referencia (16).

En el modelo de colitis inducida por dextrano sulfato de sodio (DSS) para investigar el papel del VDR en la homeostasis de la barrera mucosa, se observó que los ratones con mutación completa para VDR desarrollaron diarrea severa, sangrado rectal, pérdida de peso corporal marcada y muerte en 2 semanas. El examen histológico reveló una ulceración extensa y una cicatrización alterada. La microscopía electrónica mostró interrupción severa en las uniones epiteliales (Figura 2). Mientras que

en los cultivos celulares con 1,25-OH D, esta mejora las uniones estrechas, al aumentar la expresión de proteínas de unión y también puede estimular la migración de células epiteliales in vitro. Estas observaciones sugieren que el VDR juega un papel crítico en la homeostasis de la barrera mucosa preservando la integridad de los complejos de unión y la capacidad de curación del epitelio colónico. Por lo tanto, la deficiencia de vitamina D puede comprometer la barrera mucosa, lo que conduce a mayor

12 Revista Bioreview®
Vehículo TNBS A # osteocitos /3.84mm 2 1000 800 600 400 200 0 Densidad esponjosa del osteocito B # osteocitos /1.92mm 2 1400 1200 1000 800 600 400 200 0 Densidad cortical del osteocito Metafisaria Eje C %TNFa + Osteocitos 0 0 20 0
a+ Osteocitos Esponjoso Cortical metafisaria Eje D %IL-6 + Osteocitos 60 40 20 0 %IL-6+ Osteocitos Esponjoso Cortical metafisaria Eje F %IGF-I + Osteocitos 60 40 20 0
Osteocitos Esponjoso Cortical metafisaria Eje E %IL-10 + Osteocitos 60 40 20 0 %IL-10+ Osteocitos Esponjoso Cortical metafisaria Eje
%TNF-
%IGF-I+

Figura 2: A: curva de peso. B: puntajes de síntomas. C: curva de supervivencia. D: evaluación histológica de la mucosa colónica. a y b: Hematoxilina y eosina, se observa ulceración extensa con pérdida completa de criptas (flechas) en ratones VDR -/-. c y d: un gran aumento de la zona de la úlcera el día 7. e y f: Tinción con 5-bromo-2-desoxiuridina el día 10 que muestra curación de heridas intestinales. Sin signos de curación, reepitelización o formación de las criptas en ratones VDR -/-. Adaptado de Kong y col. Referencia 28.

susceptibilidad a la lesión y mayor riesgo de EII28.

En conclusión, varios estudios en EII demostraron una prevalencia elevada de deficiencia de vitamina D3. Además, existe una creciente evidencia epidemiológica que sugiere que la deficiencia de vitamina D tendría un rol en el desarrollo y la gravedad de la enfermedad. Se requieren futuros estudios clínicos controlados para determinar su rol terapéutico.

Pesquisa de osteoporosis en EII

En la guía de la American Gastroenterological Association (AGA) y de la British Society of Gastroenterology, publicadas en el año 2003, se recomienda el screening con DXA para aquellas personas con historia previa de fractura, uso de GC que excede los 3 meses o cursos repetidos de GC en el tiempo, mujeres posmenopáusicas y hombres mayores de 50 años, hipogonadismo, bajo IMC e

14 Revista Bioreview®
a b c d e f D VDR (+/+) VDR (-/-) VDR (+/+) VDR (-/-) VDR (+/+) VDR (-/-) % Curva peso Día 110 100 90 80 70 60 50 0 1 3 5 7 8 DSS DSS removido VDR (+/+) VDR (-/-) A B Puntaje de síntomas 6 5 4 3 2 1 0 Día 3 Día 7 VDR (+/+) VDR (-/-) Curva supervivencia (%) Día 120 100 80 60 40 20 0 1 2 3 4 5 6 VDR (+/+) VDR (-/-) 7 8 9 10 11 C
15 Diagnóstico Clínico Aplicado Año XII · Número 139 · Marzo 2023

historia familiar de osteoporosis29,30. Repetir la densitometría ósea cada 2 años en pacientes con T-score entre -1 y -2.5. Si recibirá terapia de corticoides prolongada se deben considerar los bifosfonatos y repetir la densitometría en 1 año. Si el paciente tiene osteoporosis, se debe completar la evaluación de causas secundarias e iniciar terapia con bifosfonatos o derivar a un especialista de metabolismo fosfocálcico1,16.

Sin embargo, la evaluación de la masa ósea es desestimada en esta población31-33. En un estudio de 1.000 médicos seleccionados de la membresía de la AGA, la mayoría no utilizaban las guías para EII y osteoporosis32. Esto podría reflejar la falta de familiaridad o conflicto en la interpretación de las recomendaciones publicadas, limitaciones de tiempo, creencia de que la EII debería ser el foco de la visita y que la osteoporosis debe ser administrada por otro médico, entre otras razones31.

Tratamiento y prevención de osteoporosis en EII

Las recomendaciones de las guías AGA son limitar la exposición a factores conocidos que aumentan el riesgo de pérdida ósea o fractura: evitar el exceso de alcohol y drogas, cesación tabáquica, promover el ejercicio regular, adecuar los niveles de calcio y vitamina D, considerar la corrección del hipogonadismo y minimizar el uso de GC1.

Respecto de los bifosfonatos, existen pocos ensayos clínicos controlados. Se han estudiado risedronato, alendronato, ibandronato endovenoso, pamidronato y zoledrónico. Todos redujeron el riesgo relativo de fracturas y aumentaron la DMO34-42.

Para evaluar la absorción de bifosfonatos, se midió la excreción urinaria de alendronato a los 3 y 6 meses después del inicio de tratamiento oral a una dosis de 10 mg/día, en 19 pacientes osteoporóticos con EC estable. El promedio de la excreción urinaria de 24 horas de alendronato fue comparable a la de aquellos sin patología intestinal. Estos datos sugieren que en pacientes con EC estable el tratamiento con un bifosfonato oral no es significativamente alterado por la patología GI subyacente43.

Desde la perspectiva de la seguridad de los bifosfonatos, en un metaanálisis de 11 estudios, no se encontró diferencias estadísticamente significativas en eventos adversos entre los tratados y el grupo control. La mayoría fueron reacciones gastrointestinales y no se describieron

eventos graves en la 44 revisión.

No se ha estudiado la eficacia de teriparatida en EII. Rodríguez-Bores y col. sugieren que debe considerarse como tratamiento en pacientes con osteoporosis inducida por GC o en los que requieren tratamiento con esteroides a largo plazo45. Respecto de denosumab, no existen estudios que avalen su uso.

Conclusiones

La osteoporosis es un problema mayor de salud dado que aumenta el riesgo de fracturas, lo cual se asocia a mayor morbilidad, mortalidad y costos en salud. La prevalencia de baja masa ósea y osteoporosis en EII es elevada, aunque existen algunas variables que pueden sobreestimar o subestimar la misma. Por lo cual serían necesarios estudios prospectivos, bien diagramados y con un número adecuado de pacientes para determinar la prevalencia de enfermedad ósea en ellos.

En cuanto a los factores de riesgo asociados, se encuentran los tradicionales para la población general, y otros que son específicos de la EII o presentan características especiales. Entre estos se halla el uso de corticoides, la cirugía, el proceso inflamatorio propio de la enfermedad y la deficiencia de vitamina D. Sobre estos 2 últimos se necesitan más estudios para demostrar la asociación causal y definir el rol en la terapéutica.

Respecto del screening, las últimas guías tienen como principal criterio de tratamiento la DMO, sin la incorporación de otros factores de riesgo predictores de fractura. A esto se suma que son pocos los estudios que han investigado específicamente el impacto del tratamiento de la osteoporosis en estos pacientes. Dentro de los evaluados se encuentran: risedronato, alendronato, ibandronato, pamidronato y zoledronato. Todos han demostrado ser eficaces y seguros en pacientes con EII. Acerca del uso de teriparatida existe controversia y sobre denosumab no hay datos en la bibliografía.

Finalmente, a pesar de que se reconoce ampliamente que los pacientes con EII presentan riesgo aumentado de pérdida ósea, existe una baja adherencia de los médicos al uso de las guías. Por esto, sería importante continuar con la educación médica, para realizar un reconocimiento temprano e implementar estrategias de tratamiento oportunas, con la finalidad mejorar la calidad de vida de estos pacientes.

16 Revista Bioreview®
18 Revista Bioreview®
19 Diagnóstico
Año XII · Número 139 · Marzo 2023
Clínico Aplicado

REFERENCIAS BIBLIOGRÁFICAS

1. Bernstein C, Eliakim A, Fedail S, Fried M, Gearry R, Goh KL, Hamid S, Ghafor Khan A, Khalif I, Ng SC, Ouyang Q, Rey JF, Sood A, Steinwurz F, Watermeyer G, LeMair A. Enfermedad intestinal inflamatoria. Guías Mundiales de la Organización Mundial de Gastroenterología. Actualizado en agosto de 2015

2. Krajcovicova A, Kuzma M, Hlavaty T, Hans D, Koller T, Jackuliak P, Leskova Z, Sturdik I, Killinger Z, Payer J. Decrease of trabecular bone score reflects severity of Crohn’s disease: results of a case-control study. Eur J Gastroenterol Hepatol. 2018;30:101-106

3. Andrade Lima C, Castro Lyra A, Rocha A, Oliveira Santana G. Risk factors for osteoporosis in inflammatory bowel disease patients World J Gastrointest Pathophysiol 2015 15; 6:210-218

4. Targownik LE, Bernstein CN, Leslie WD. Inflammatory bowel disease and the risk of osteoporosis and fracture. Maturitas 2013; 76:315-319

5. Kim HJ, Hong SJ, Jeon YW, Han JP, Han SH, Kang JH, Tae JW, Lim, Kim HK, Ko BK, Lee MS. The early onset of disease may be a risk factor for decreased bone mineral density in patients with inflammatory bowel disease. Clin Endosc 2013 46:71-76

6. Naito T, Yokoyama N, Kakuta Y, Ueno K, Kawai Y, Onodera M, Moroi R, Kuroha M, Kanazawa Y, Kimura T, Shiga H, Endo K, Nagasaki M, Masamune A, Kinouchi Y, Shimosegawa T. Clinical and genetic risk factors for decreased bone mineral density in Japanese patients with inflammatory bowel disease. 2018; 33:1873-1881

7. Bernstein CN, Leslie WD. Review article: osteoporosis and inflammatory bowel disease. Aliment Pharmacol Ther 2004; 19: 941-952

8. Ordás I, Eckmann L, Talamini M, Baumgart DC, Sandborn WJ. Ulcerative colitis. Lancet 2012; 380: 1606-19

9. Baumgart DC, Sandborn WJ. Crohn’s disease. Lancet 2012; 380:15901605

10. Adriani A, Pantaleoni S, Luchino M, Ribaldone DG, Reggiani S, Sapone N, Sguazzini C, Isaia G, Pellicano R, Astegiano M. Osteopenia and osteoporosis in patients with new diagnosis of inflammatory bowel disease. PANMINERVA MED 2014 56:145-9

11. Bernstein CN, Blanchard JF, Leslie WD, Wajda A, Yu BN. The incidence of fracture among patients with inflammatory bowel disease: a population-based cohort study. Ann Intern Med. 2000;133:795-799

12. Khan N, Abbas AM, Almukhtar RM, Khan A. Prevalence and predictors

of low bone mineral density in males with ulcerative colitis. J Clin Endocrinol Metab. 2013;98:2368-75.

13. Komaki Y, Komaki F, Micic D, Ido A, Sakuraba A. Risk of fractures in inflammatory Bowel Diseases a systematic review and metaanalysis. J Clin Gastroenterol 2019, 53:441-448.

14. Ali T, Lam D, Bronreyze MS, Humph MB. Osteoporosis in Inflammatory Bowel Disease. Am J Med. 2009; 122: 599-604.

15. Turk N, Cukovic-Cavka S, Korsic M, Turk Z, Vucelic B. Proinflammatory cytokines and receptor activator of nuclear factor kappaB-ligand/ osteoprotegerin associated with bone deterioration in patients with Crohn’s disease. Eur.J. Gastroenterol Hepatol. 2009;21:159-66.

16. Metzger CE, Narayanan A, Zawieja DC, Bloomfield SA. Inflammatory bowel disease in a rodent model alters osteocyte protein levels controlling bone turnover. Journal of Bone and Mineral Research, 2017; 32:802-813

17. Krela-Ka mierczak I, Szymczak-Tomczak A, ykowska-Szuber L, Wysocka E, Michalak M, Stawczyk-Eder K, Waszak K, Linke K, Eder P. Interleukin 6, osteoprotegerin, sRANKL and bone metabolism in inflammatory bowel diseases. Adv Clin Exp Med. 2018;27:449-453

18. Reffitt D, Meenan J, Sanderson J, Jugdaohsingh R, Powell JJ, Thompson R. Bone density improves with disease remission in patients with inflammatory bowel disease European Journal of Gastroenterology & Hepatology: 2003; 15:1267-1273

19. Siffledeen JS, Siminoski K, Steinhart H, Greenberg G, Fedorak RN. The frequency of vitamin D deficiency in adults with Crohn’s disease. Can J Gastroenterol. 2003;17(8):473-8

20. Leslie WD, Miller N, Rogala L, Bernstein CN. Vitamin D status and bone density in recently diagnosed inflammatory bowel disease: the Manitoba IBD Cohort Study. Am J Gastroenterol. 2008;103:1451-9

21. Gonzalez Sueyro RC, Etchevers MJ, Sobrero MJ, Daffra PR, Arguero MJ, Madrid Blanco DC, Galich AM, De Paula mJA. Should we evaluate vitamin D in patients with inflammatory bowel disease? UEG Week 2014 - Abstract submission. Topic area: 6. IBD (including microscopic colitis)

22. Vernia P, Burrelli Scotti G, Dei Giudici A, Chiappini A, Cannizzaro S, Afferri MT, de Carolis A. Inadequate sunlight exposure in patients with inflammatory bowel disease. J Dig Dis. 2018;19:8-14

23. Bernstein CN, Bector S, Leslie WD. Lack of relationship of calcium and vitamin D intake to bone mineral density in premenopausal women with inflammatory bowel disease. Am J Gastroenterol. 2003; 98:2468-73.

24. Gupta S, Shen B. Bone loss in patients with the ileostomy and ileal

20 Revista Bioreview®

pouch for inflammatory bowel disease. Gastroenterology Report 1 2013:159-165

25. Mouli VP, Ananthakrishnan AN. Review article: vitamin D and inflammatory bowel diseases. Aliment Pharmacol Ther. 2014; 39:125-36.

26. Cantorna MT, Munsick C, Bemiss C, Brett D. 1,25-Dihydroxycholecalciferol prevents and ameliorates symptoms of experimental murine inflammatory bowel disease. The Journal ofNutrition, 2000, 130:2648-2652

27. Zhu Y, Mahon BD, Froicu M, Cantorna MT. Calcium and 1 alpha,25dihydroxyvitamin D3 target the TNF-alpha pathway to suppress experimental inflammatory bowel disease. Eur J Immunol. 2005;35:21724

28. Kong J, Zhang Z, Musch MW, Ning G, Sun J, Hart J, Bissonnette M, Li YC. Novel role of the vitamin D receptor in maintaining the integrity of the intestinal mucosal barrier. Am J Physiol Gastrointest Liver Physiol. 2008;294:G208-16.

29. Bernstein CN, Leslie WD, Leboff MS. AGA technical review on osteoporosis in gastrointestinal diseases. Gastroenterology. 2003;124:795841 combination with calcium and vitamin D: highly effective in the

30. Scott EM, Gaywood I, Scott BB. Guidelines for osteoporosis treatment of low bone mineral density in inflammatory bowel in coeliac disease and inflammatory bowel disease. British disease. Scand J Gastroenterol. 2006;41:200-4. Society of Gastroenterology. Scott EM1, Gaywood I, Scott BB. 42. Klaus J, Haenle MM, Schroter C, Adler G, von Boyen G, Gut. 2000;46 Suppl 1:i1-8. Reinshagen M, von Tirpitz C. A single dose of intravenous

31. Thanou A, Ali T, Haq O, Kaitha S, Morton J, Stavrakis S, zoledronate prevents glucocorticoid therapy-associated bone Humphrey MB. Utilization of preventive measures for loss in acute flare of Crohn’s disease, a randomized controlled glucocorticoid-induced osteoporosis among veterans with trial. AmJ Gastroenterol. 2011;106:786-93. inflammatory bowel disease. ISRN Gastroenterol. 2013 43. Cremers SC, van Hogezand R, Banffer D, den Hartigh J, 21:862312. Vermeij P, Papapoulos SE, Hamdy NA. Absorption ofthe oral

32. Etzel JP, Larson MF, Anawalt BD, Collins J, Dominitz JA. bisphosphonate alendronate in osteoporotic patients with Assessment and management of low bone density in Crohn’s disease. Osteoporos Int. 2005;16:1727-30 inflammatory bowel disease and performance of professional 44. Hu Y, Chen X, Chen X, Zhang S, Jiang T, Chang J, Gao Y. society guidelines. Inflamm Bowel Dis. 2011;17:2122-9

33. Wagnon JH, Leiman DA, Ayers GD, Schwartz DA. Survey of inflammatory bowel disease: a systematic review and meta-gastroenterologists’ awareness and implementation of AGA analysis. Can J Gastroenterol

Hepatol. 2017;2017:2736547 guidelines on osteoporosis in inflammatory bowel disease 45. Rodríguez-Bores L, Barahona-Garrido J, Yamamotopatients: are the guidelines being used and what are the barriers to their use? Inflamm Bowel Dis. 2009;15:1082-9.

34. Henderson S, Hoffman N, Prince R. A double-blind placebocontrolled study of the effects ofthe bisphosphonate risedronate on bone mass in patients with inflammatory bowel disease. The American Journal of Gastroenterology 2006;101:119-123

35. Palomba S, Manguso F, Orio F Jr, Russo T, Oppedisano R, Sacchinelli A, Falbo A, Tolino A, Zullo F, Mastrantonio P. Effectiveness of risedronate in osteoporotic postmenopausal women with inflammatory bowel disease: a prospective, parallel, open-label, two-year extension study. P. Menopause. 2008;15:730-6.

36. Haderslev KV, Tjellesen L, Sorensen HA, Staun M. Alendronate increases lumbar spine bone mineral density in patients with Crohn’s disease. Gastroenterology. 2000;119:639-46.

37. Kitazaki S, Mitsuyama K, Masada J, Harada K, Yamasaki H, Kuwaki K, Takedatsu H, Sugiyama G, Tsuruta O, Sata M. Clinical trial: comparison of alendronate and alfacalcidol in glucocorticoidassociated osteoporosis in patients with ulcerative colitis. Aliment Pharmacol Ther. 2009 15;29:424-30.

38. von Tirpitz C, Klaus J, Steinkamp M, Hofbauer LC, Kratzer W, Mason R, Boehm BO, Adler G, Reinshagen M. Therapy of osteoporosis in patients with Crohn’s disease: a randomized study comparing sodium fluoride and ibandronate. Aliment Pharmacol Ther. 2003 15;17:807-16.

39. Klaus J, Reinshagen M, Herdt K, Adler G, von Boyen GB, von Tirpitz C. Intravenous ibandronate or sodium-fluoride--a 3.5 years study on bone density and fractures in Crohn’s disease patients with osteoporosis. J Gastrointestin Liver Dis. 2011;20:141-8.

40. Bartram SA, Peaston RT, Rawlings DJ, Francis RM, Thompson NP. A randomized controlled trial of calcium with vitamin D, alone or in combination with intravenous pamidronate, for the treatment of low bone mineral density associated with Crohn’s disease. Aliment Pharmacol Ther. 2003;18:1121-7.

41. Stokkers PC, Deley M, Van Der Spek M, Verberne HJ, Van Deventer SJ, Hommes DW. Intravenous pamidronate in Furusho JK. Basic and clinical aspects of osteoporosis in inflammatory bowel disease. World J Gastroenterol. 2007 14;13:6156-65.

Creative Commons License Este es un artículo publicado en acceso abierto bajo una licencia Creative Commons

21 Diagnóstico Clínico Aplicado Año XII · Número 139 · Marzo 2023

CADENAS LIVIANAS LIBRES. Freelite & Hevylite

Se producen normalmente entre 0.5-1 g de cadenas livianas libres cada día por las células plasmáticas en médula ósea y en los nódulos linfáticos. Pasan a sangre y se distribuyen rápidamente en los dos compartimentos:

• Intravascular

• Extravascular

Las cadenas livianas libres kappa (κ) y lambda (λ) se producen en exceso con respecto a las cadenas pesadas, para asegurar la perfecta conformación de las inmunoglobulinas intactas.

La producción de cadenas kappa libres es el doble de las cadenas livianas libres lambda, encontrándose las cadenas kappa en estado monomérico y las cadenas lambda en general en estado dimérico o formando algún polímero.

En condiciones normales las cadenas livianas libres son me-

tabolizadas y eliminadas por los riñones. En el caso de las cadenas kappa en 2 a 4 hs a una tasa de filtración glomerular de un 40%, mientras las cadenas lambda en 3 a 6 hs a una tasa de filtración menor de un 20%, mientras que los polímeros se eliminan más lentamente.

Una vez que las cadenas livianas libres filtran a través de la membrana glomerular se reabsorben a nivel de los túbulos proximales (capacidad de reabsorción: 10 a 30 g/día), eliminándose en condiciones normales alrededor de 5 a 10 mg/día por orina.

Cuando hay una producción exagerada de cadenas livianas libres como es el caso de ciertas gammapatías monoclonales, la capacidad de reabsorción se satura y las cadenas pasan a los túbulos distales donde se unen a una proteína llamada Uromucoide o Tamm-Horsfall formándose los llamados Waxy casts o cilindros que llevan a una falla renal llamada nefropatía de cilindros o riñón del mieloma.

22 Revista Bioreview®

Aproximadamente el 50% de los pacientes con Mieloma Múltiple desarrollan una insuficiencia renal y de ese 50% un 20% desarrolla fallo renal de progresión rápida que lleva a 1 a 12% de los pacientes a la necesidad de someterse a diálisis.

Entre las gammapatías monoclonales benignas y asintomáticas se hallan la gammapatía monoclonal de significado incierto (MGUS) y el mieloma múltiple quiescente (SMM).

La gammapatía monoclonal maligna más frecuente es el mieloma múltiple (MM).

Para el diagnóstico de las gammapatías monoclonales, las cadenas livianas libres representan un biomarcador altamente sensible.

En MANLAB incorporaremos el ensayo de Freelite mediante la plataforma Optilite (The Binding Site).

¿Qué es freelite?

Freelite es un inmunoensayo potenciado con látex, sensible, específico, rápido y sencillo para medir cadenas livianas libres (CLL) kappa (κ) y lambda (λ).

Los ensayos se basan en anticuerpos policlonales purificados por afinidad fijados a partículas de látex para garantizar el reconocimiento de la mayor variedad de cadenas livianas libres, ya que las mismas son polimórficas, es decir, presentan una gran variación en epítopos, permitiendo así la cuantificación de las cadenas kappa y lambda en suero.

Utilidad Clínica

Desempeñan un papel importante en:

• El diagnóstico: para contribuir al diagnóstico de gammapatías monoclonales

• El pronóstico: para predecir la evolución del paciente

• La monitorización: para medir la respuesta al tratamiento y

• Las pruebas renales: para contribuir al diagnóstico del riñón de mieloma.

23 Diagnóstico Clínico Aplicado Año XII · Número 139 · Marzo 2023
Figura 3. Figura 2. Figura 1.
La realización de análisis Freelite junto a los de electroforesis capilar e inmunofijación en suero proporciona un cribado diagnóstico inicial eficaz e implica que puedan solicitarse las pruebas de electroforesis en orina de forma más selectiva.

¿Qué información nos brinda?

Freelite nos aporta valiosa información que puede expresarse de maneras diferentes para evaluar un paciente según su estado: (Ver tabla 1)

Valores de referencia: (Ver tabla 2)

El ensayo FREELITE es recomendado por DIRECTRICES NACIONALES e INTERNACIONALES

• Grupo internacional de trabajo sobre mieloma (IMWG)

• Red Nacional Integral del Cáncer

• Sociedad Europea de Oncología Médica

• Grupo internacional de investigación sobre riñón y gammapatía monoclonal.

Es importante considerar el pedido de Freelite en conjunto con inmunofijación y proteinograma como herramienta complementaria frente a la sospecha de gammapatía monoclonal o símil. Los pacientes que se pasan por alto no pueden subestimarse; un diagnóstico rápido y preciso resulta esencial para que se inicie un tratamiento específico para la enfermedad.

Tabla 1. Evaluaciones según estado

Sigla Término Uso

CLLi

CLLni

Relación CLL k/l

Relación CLL involucrada/ CLL no involucrada

dCLL= CCLi –CLLni

Cadena liviana libre involucrada

Cadena liviana libre no involucrada

Cociente de la concentración de CLL κ a CLL λ

Cociente de la concentración de CLL de involucrada a no involucrada; podría ser κ/λ o λ/κ

Diferencia de concentración entre cadena involucrada y no involucrada.

Las directrices del Grupo internacional de trabajo sobre mieloma recomiendan el uso como referencia de los resultados de los ensayos de laboratorio de cadenas livianas libres (CLL) en suero Freelite para obtener información de pronóstico para todos los pacientes de MM. También se recomiendan para la monitorización de los pacientes con MM oligosecretor y pacientes con IIMM (para detectar únicamente recaída con cadenas livianas libres).

Directrices del Grupo internacional de trabajo sobre mieloma

1. International Myeloma Working Group updated criteria for the diagnosis of multiple myeloma. Rajkumar SV, et al. Lancet Oncology 2014; 15:e538-e548

2. International Myeloma Working Group recommendations for global myeloma care. Ludwig H, et al. Leukemia 2014; 28:981-992

3. New Criteria for Response to Treatment in Immunoglobulin Light Chain Amyloidosis Based on Free Light Chain Measurement and Cardiac Biomarkers: Impact on Survival Outcomes. Palladini, et al. J Clin Onc 2012; 30:4541-4549

4. Consensus recommendations for the uniform reporting of clinical trials: report of the International Myeloma Workshop

Consensus Panel 1. Rajkumar SV, et al, Blood 2011; 117:46914695

Carga tumoral / respuesta a la terapia (CLL producida por el tumor)

Cadena liviana policlonal, puede estar influenciada por la función renal

PACIENTE DE NUEVO DIAGNÓSTICO. Sugiere la presencia de patología monoclonal

BIOMARCADOR DE MALIGNIDAD. Biomarcador de mieloma reconocido por el IMWG (recomendado para monitoreo)

Carga tumoral / respuesta a la terapia (recomendado para monitoreo)

Sigla Término V.R. CLL κ CLL λ

Relación CLL k/l

Relación CLL involucrada/ CLL no involucrada

dCLL= CCLi –CLLni

Cadena liviana libre kappa

Cadena liviana libre lambda

Cociente de la concentración de CLL κ a CLL λ

Cociente de la concentración de CLL de involucrada a no involucrada; podría ser κ/l o l/κ

Diferencia de concentración entre cadena involucrada y no involucrada.

– 19,4 mg/L

– 26,3 mg/L 0,26 – 1,65

≥ 100

Recomendado para monitoreo (unidades mg/L)

24 Revista Bioreview®
Tabla 2. Valores
3,3
5,7

Analizador para resolver la Velocidad de Eritrosedimentación de forma fácil, segura y confiable.

Trabaja directamente a partir del tubo de hemograma (EDTA)

Método de Westergren (método de referencia)

32 resultados en sólo 25 minutos

Sin consumibles y libre de mantenimiento

No genera desechos

Pantalla touch screen. Sistema operativo Android

Conexión a LIS (Host Query)

Consulte con su Asesor Comercial. Más información: ventas@wiener-lab.com

25 Diagnóstico Clínico Aplicado Año XII · Número 139 · Marzo 2023 @Wienerlabgroup Wiener lab Group Wiener lab. @Wiener_lab www.wiener-lab.com marketing@wiener-lab.com

5. Monoclonal gammopathy of undetermined significance (MGUS) and smoldering (asymptomatic) multiple myeloma: IMWG consensus perspectives risk factors for progression and guidelines for monitoring and management. Kyle RA, et al. Leukemia 2010; 24:1121-1127

6. International Myeloma Working Group guidelines for serum-free light chain analysis in multiple myeloma and related disorders. Dispenzieri A, et al. Leukemia 2009; 23:215-224

7. International uniform response criteria for multiple myeloma. Durie BGM, et al. Leukemia 2006; 20:1467-1473

Nuevos criterios del Grupo Internacional de trabajo sobre mieloma para el diagnóstico del MM

Células plasmáticas clonales en médula ósea o plasmacitoma óseo o extramedular demostrado mediante biopsia y un evento que define un mieloma:

A. Un biomarcador (o más) de tumor maligno:

• Células plasmáticas clonales en médula osea ≥ 60%.

• Cociente sCLL involucrada / no involucrada ≥ 100 *

• > 1 lesión focalizada en estudios de resonancia magnética.

* La concentración de Freelite involucrada debe ser ≥ 100mg/L

B. Evidencia de daños en el órgano final que pueden atribuirse al trastorno proliferativo subyacente de células plasmática

• Hipercalcemia

• Insuficiencia Renal

• A nemia

• Lesiones óseas (B one lesions)

Inmunoglobulina intacta (cadena pesada-cadena liviana)

Las gammapatías monoclonales (GM) se definen como un conjunto de alteraciones hematológicas que se caracterizan por la proliferación maligna de un clon de células plasmáticas que tiene la capacidad de producir una Ig o un fragmento de ella que generalmente puede detectarse en sangre y/u orina en forma de una banda homogénea o componente monoclonal.

Las GM son heterogéneas en cuanto a su incidencia, presentación clínica, evolución y pronóstico, pero todas, excepto las NO secretoras, comparten la presencia de la proteína monoclonal que hace de marcador tumoral que permite su diagnóstico y seguimiento.

Los análisis de sangre tradicionales para el diagnóstico de gammapatías monoclonales son la electroforesis de proteínas en suero y/o la inmunofijación junto con inmunoensayos de cadenas livianas libres en suero.

En MANLAB incorporaremos el ensayo de Hevylite mediante la plataforma Optilite (The Binding Site).

¿Qué es HEVYLITE?

Hevylite es una prueba en suero de laboratorio rápida, simple y altamente sensible para la medición de proteínas monoclonales de inmunoglobulinas intactas. Identifica y mide individualmente IgGκ, IgGλ, IgAκ, IgAλ, IgMκ e IgMλ. Se evalúan en pares, p. ej. IgGκ/IgGλ, para producir cocientes.

CRAB características

Se basa en un ensayo de anticuerpos policlonales en suero para diagnosticar de forma sencilla gammapatías monoclonales de inmunoglobulinas intactas como el mieloma múltiple.

26 Revista Bioreview®
Figura 4.

Utilidad Clínica

Permite:

• Cuantificar con exactitud proteínas monoclonales cuan -

do las bandas del proteinograma e inmunofijación en suero son difíciles de interpretar

• Cuantificar con exactitud proteínas monoclonales a niveles bajos (<0,1 g/dL)

• Identificar la enfermedad residual en mieloma múltiple

• Detectar de forma temprana recaídas en el mieloma múltiple

• Proporcionar una monitorización óptima junto con Freelite

• Determinar un valor basal al diagnóstico: Hevylite proporciona un valor de referencia, que resulta de utilidad en la monitorización y el pronóstico:

• El pronóstico: para predecir la evolución del paciente

• La monitorización: para medir la respuesta al tratamiento.

De esta forma Hevylite aporta ventajas porque:

• Supera los retos técnicos observados con la electroforesis como la co-migración, la no linealidad y la saturación

27 Diagnóstico
Año XII · Número 139 · Marzo 2023
Clínico Aplicado
Figura 5. Las moléculas de inmunoglobulina intacta contienen epítopos nodales únicos entre las regiones constantes de cadenas pesadas y cadenas ligeras que son los objetivos de los antisueros Hevylite policionales de estos kits.

del colorante;

• Maximiza el flujo de trabajo mediante la automatización y reduce el tiempo de manipulación;

• Proporciona resultados cuantitativos y evita una interpretación subjetiva de los geles, y

• Reduce el número de pruebas diferentes necesarias para obtener un resultado, sobre todo para las proteínas monoclonales IgA.

¿Qué información nos brinda?

Hevylite nos aporta valiosa información que puede expresarse de maneras diferentes para evaluar un paciente con una gammapatía monoclonal: (ver tabla 3)

Valores de referencia: (ver tabla 4)

El ensayo HEVYLITE es recomendado por diferentes DIRECTRICES

Directrices del 2013 de BCSH para el diagnóstico y la gestión del mieloma múltiple.

(Bird et al. BCSH Guidelines for the diagnosis and management of multiple myeloma 2013, www.bschguidelin.es)

«La concentración de referencia de las cadenas ligeras libres en suero también puede proporcionar información útil para el pronóstico (Dispenzieri, et al 2008),

como podrían hacerlo los cocientes de cadenas ligeras / pesadas de inmunoglobulinas tanto en el momento del diagnóstico como durante el tratamiento (Ludwig, et al 2010).»

Las directrices de la República Checa mencionan el uso de Hevylite en mieloma múltiple y amiloidosis AL. (Transfuze a Hematologie Dnes 2012 and 2013)

Combinación de métodos FREELITE Y HEVYLITE

Freelite y Hevylite miden de forma sensible dos biomarcadores independientes del mieloma múltiple.

• Freelite mide cadenas ligeras libres κ y λ (a niveles de mg/L) y Hevylite mide inmunoglobulinas intactas (a niveles de g/L).

• Usando ambas pruebas durante la monitorización se garantiza la detección de recaídas, ya sea mediante cadenas livianas o clones de inmunoglobulinas intactas (o ambos).

• Cuando se produce una recaída, puede aparecer un clon diferente del que se había detectado durante el diagnóstico (evolución clonal).

• Usar ambas pruebas (Freelite y Hevylite) durante la monitorización permite la detección de cadenas livianas libres y clones de inmunoglobulinas intactas, lo que ofrece a los médicos más información de forma más temprana.

Sigla Término Uso

HLC i HLC ni Relación Cadena pesadaliviana

Cadena pesada-cadena liviana involucrada

Refiere al tipo de HCL producido por el tumor. (Mide la producción monoclonal)

4,3 – 9,78 g/L

1,97 – 5,71 g/L

0,98 – 2,75

0,588 – 2,984 g/L

Cadena pesada-cadena liviana no involucrada

Mide producción policlonal

Cociente de la concentración de HLCκ/ HLCλ

Indica clonalidad (Ej: IgGκ/IgGλ)

κ/IgM λ

0,432 – 2,035 g/L

0,911 – 2,416

0,19 – 1,63 g/L

0,12 – 1,01 g/L

1,18 – 2,74

28 Revista Bioreview®
Tabla 3. Evaluación de pacientes con gammapatía monoclonal
Sigla V.R. IgG κ
IgG
λ IgA κ IgA λ
IgA
λ IgM κ IgM λ
IgM
Tabla 4. Valores de referencia
Relación
κ/IgG
Relación
κ/IgA
Relación IgM κ/IgM λ Relación
29
Año XII · Número 139 · Marzo 2023
Diagnóstico Clínico Aplicado

Análisis médico legal de la toxicomanía por MDMA: reporte de caso

REPORTES DE CASO

Análisis médico legal de la toxicomanía por MDMA : reporte de caso

Medical-legal relationship of MDMA drug addiction: case report

Edgar Andrés Vargas Torres1

1Médico Residente de Medicina Legal, Universidad de Costa Rica, Departamento de Medicina Legal del Poder Judicial, Heredia, Costa Rica.

Medicina Legal de Costa Rica - On-line version ISSN 2215-5287Print version ISSN 1409-0015 - Med. leg. Costa Rica vol.39 n.1 Heredia Jan./Mar. 2022

Apdo. 187-3007 San Joaquín de Flores, Heredia Costa Rica, San Joaquin de Flores, Heredia, CR, 187-3007, 2277-4128, 2277-4235 cabarca@racsa.co.cr

Resumen

El análisis por toxicomanía representa un proceso común solicitado por la Autoridad Judicial para determinar si un usuario presenta hallazgos compatibles con el uso de una droga a nivel clínico, componentes histológicos, patológicos y toxicológicos que puedan generar su uso. Es necesario destacar las limitaciones del ambiente clínico donde se pueden generar múltiples ha-

llazgos, y de la toxicología forense donde a pesar de la especificidad a la que se asocia; también se encuentra limitada por la capacidad de sus equipos tecnológicos.

La resonancia magnética nuclear cuantitativa de hidrógeno representa grandes ventajas al demostrar la presencia de una droga ilegal, así como la posibilidad de disminuir costos y tiempo laboral. El uso del MDMA como tratamiento con una reciente aprobación para

30 Revista Bioreview®

un estudio de fase III por la FDA, también requiere que se valore el motivo de su uso, por lo que para realizar un análisis médico legal se contemplaron diversos elementos de juicio a fin de satisfacer la evaluación sobre la toxicomanía por MDMA en un usuario que presentó un tejido granular blanco tipo polvo en la sección distal del tabique nasal y negó el consumo de metanfetaminas.

Palabras clave: MDMA; N-Metil-3,4 metilendioxianfetamina; Medicina Legal; Estimulantes del Sistema Nervioso Central; Trastornos Relacionados con Sustancias; Drogas de Diseño.

Abstract: Medical-legal relationship of MDMA drug addiction: case report

The analysis for drug addiction represents a common process requested by the Judicial Authority to determine if a user presents findings compatible with the use of a drug at a clinical level, histological, pathological and toxicological components that may generate its use. It is necessary to highlight the limitations of the clinical environment where multiple findings can be generated, and of forensic toxicology where despite the specificity to which it is associated; it is also limited by the capacity of its technological equipment.

Quantitative hydrogen nuclear magnetic resonance represents great advantages when demonstrating the presence of an illegal drug, as well as the possibility of reducing costs and labor time. The use of MDMA as a treatment with a recent approval for a phase III study by the FDA, also requires that the reason for its use be assessed, therefore, in order to carry out a legal medical analysis, various elements of judgment were considered in order to satisfy evaluation of MDMA drug addiction in a user who presented with white powder-like granular tissue in the distal section of the nasal septum and denied the use of methamphetamine.

Keywords: MDMA; N-Methyl-3,4-methylenedioxyamphetamine; Legal medicine (Forensic Medicine); Central Nervous System Stimulants; Substance-Related Disorders; Designer Drugs

Introducción

Metilendioximetanfetamina (MDMA), conocida con nombres como: Éxtasis, XTC, E, Droga del Amor o Molly fue sintetizada próxima a la Primera Guerra mundial en 1914 como arma química1, aunque otros registros la establecen en 19122. Su uso fue divergido a droga de abuso que usualmente era utilizada por personas jóvenes y se vinculaba a Festivales con Música Electrónica, eventos “Rave”3,4 y en centros nocturnos1,5. En el ámbito ilegal se le considera erróneamente una droga segura; sus efectos son similares a los de las an -

fetaminas y de psilocibina por lo que es modestamente alucinogénica4. Respecto al uso de la MDMA como droga de abuso la misma usualmente esta alterada por otras sustancias, y tiene una presentación física usual en polvo (Molly) o en tableta (Éxtasis) aunque se le han señalado otras presentaciones y una gran diversidad de nombres como Eve (aunque la droga con este nombre usualmente se compone de MDA); en los 90 llegó a ser la droga de elección en las fiestas que duraban toda la noche y conocidas por el anglicismo “Raves”6.

Acorde al Informe Europeo sobre Drogas del 2021 ha habido un aumento en la cantidad incautada de MDMA en la Unión Europea entre el 2009 y el 2019 de un 456%; además el MDMA se ha constituido en la tercera droga más consumida en esa región con 0.9% o 2,6 millones de personas de consumo durante el último año y 10.4 millones o 3.6% de población a lo largo de la vida de personas entre 15 y 64 años7.

Es difícil valorar el consumo de MDMA en las presentaciones de venta ilegal porque su concentración puede variar mucho, incluso al punto de no estar presente o estar compuesto predominantemente por otras drogas4. El MDMA tiene la consideración de Droga de Abuso1 a la que se le atribuye alteración de percepción, efectos estéticos, anímicos y sexual, con mayor percepción de efectos por los usuarios nuevos que quienes la consumen de forma frecuente8.

Desde la perspectiva médico legal de una sustancia de abuso es necesario es necesario evaluar todos los elementos de juicio que se abordan al MDMA, porque este se ha compuesto por un interés adicional al reincidir su uso como medicamento en conjunto con psicoterapia para tratar el abuso de sustancias, trastornos de estrés postraumáticos asociados a violencia doméstica y abuso sexual. Tanto por analizar la farmacodependencia que se le ha objetivado al producto, los efectos de la droga en el cuerpo, futuro fármaco para tratar afecciones de difícil respuesta develó un interés principal sobre la toxicomanía del MDMA en un caso Médico legal con adherencia de un polvo granular blanco en el tabique nasal en sujeto masculino.

Materiales y Métodos

En la redacción de este artículo se planteó como objetivo abordar la pregunta de la autoridad judicial respecto a si el usuario asocia hallazgos compatibles con toxicomanía y se exploró esta interrogante desde la perspectiva del consumo de MDMA, hallazgo que fue

31 Diagnóstico Clínico Aplicado Año XII · Número 139 · Marzo 2023

evidente en un laboratorio de toxicología solicitado por el perito del caso. Mediante el servicio de Toxicología del Poder Judicial de Costa Rica se realizó un análisis de orina con extracción en fase sólida y Cromatografía de gases con detector de masas (GC/MS) que determinó un positivo presuntivo para MDMA. Con la finalidad de esclarecer las interrogantes ante la toxicomanía por MDMA se realizó una búsqueda bibliográfica en la base de datos de Clinical Key, UptoDate, Scielo, PubMed, revistas digitales como: Journal of Clinical Psychopharmacology, Behavioural Pharmacology, Addictive Disorders and Their Treatment, American Journal of Forensic Medicine and Pathology con el descriptor de la Salud “MDMA”, continuando con la revisión de la bibliografía en los artículos o capítulos de libros encontrados.

Aspectos relativos a Medicina Legal

Es necesario aclarar que el concepto de Farmacodependencia ha sido atribuido desde la perspectiva médico legal como una condición de dependencia física, psicológica o ambas presentes en una persona hacia una droga, producto de la administración continua o periódica. A su vez se entiende como droga a una sustancia que modifica la función generando un cambio en el organismo o en el comportamiento1.

Psicotrópico es el término que se le adjudica a una droga que actúa en el sistema nervioso central generando efectos neurofisiológicos, en tanto que el estupefaciente es una droga no indicada por un médico que actúa en el sistema nervioso central produciendo sumisión física o psicofísica, reconocida por el síndrome de abstinencia que genera. La dependencia psíquica se interpreta como una sustancia que hace dependiente al individuo para el desempeño de sus actividades diarias para reducir o eliminar el impacto emocional de la ansiedad, agitación y otros fenómenos psíquicos a la ausencia del consumo en tanto que la psicofísica se interpreta como una droga que se hace necesaria para el funcionamiento del organismo en la que su supresión puede llevar al colapso y muerte; como: La morfina, heroína, babitúricos1.

Otro proceso que genera los estupefacientes son las adaptaciones en el organismo que hace que quienes la usen y deseen conseguir el mismo efecto previo deben aumentar la dosis, fenómeno que se conoce como hábito; en cambio el acostumbramiento es la capacidad del organismo para tolerar cantidades de este tipo drogas que usualmente en individuos sin acostumbramiento sería tóxicas o incluso mortales1. Con respecto al hábito en MDMA a este se le ha atribuido como un fenómeno empírico el cual se desarrolla rápidamente, llevando a un aumento de dosis con el fin de obtener la experiencia sin igual que obtuvieron en la primera dosis, dado que sus efectos positivos disminuyen rápidamente9, por lo que algunos individuos incrementan la dosis con el fin de conseguir los mismos efectos psicoactivos10,11.

32 Revista Bioreview®

Un investigador de la Universidad de California nombró al MDMA dentro del grupo de drogas de diseño dado que corresponden a presentaciones y efectos que simulan fármacos abandonados o prohibidos por la ley1, además que cuando comenzaron a producirlos para uso no médico, la combinación de efectos similares a anfetamina y mescalina se buscó intencionalmente y se logró en forma confiable el diseño apropiado de la molécula del fármaco12.

Respecto al MDMA y la farmacodependencia por la disminución de placer como de efectos gratificantes cuando se utiliza de manera frecuente, así como el hecho de que uso rutinario exacerba la frecuencia de efectos no deseados, usualmente es un fenómeno que reduce el incentivo para consumir la droga a un punto de dependencia13,14. La anfetamina y metanfetamina pueden generar dependencia psicofísica como la cocaína1,6,15, misma que ha sido señalada con su reaparición en los años iniciales a 1980 y con experiencia en este aspecto 50 años antes6.

Un grupo de Canadá estudio los efectos en una rata hija cuando su madre le expresaba poco cuidado como: pocos periodos de amamantamiento, cuidado de la madre respecto a la limpieza de su hija, contacto físico y

otros aspectos que revelaron la metilación de algunos genes, como del receptor de glucocorticoi-des16, como en los genes para el BDNF y la subunidad NR2A del NMA17. Para el individuo que asocia estas alteraciones, le presentan en su conducta mediante un aumento en el nivel de estrés, disminución en la capacidad para resolver problemas y la resolución de laberintos, así como vulnerabilidad para la adicción a las drogas17,18. Esa observación pone en relieve que la farmacodependencia no es sólo es dependiente de la actividad farmacológica, sino de la vulnerabilidad estructural de los genes revelados en la familia e incluso que el ambiente haga una cuota en cuanto a desarrollar la vulnerabilidad del individuo19.

En personas farmacodependientes usualmente se presenta impulsividad que es la reacción precipitada a un estímulo sin considerar los riesgos de esa acción19. En estudios por imágenes una hipofunción de la corteza prefrontal derecha, en particular de la tercera circunvolución frontal derecha, se asocia a una conducta de impulsividad, es decir que cuando un individuo que no es impulsivo sufre un trauma cráneo encefálico y asocia daño orgánico en esta región se vuelve impulsivo20. Dado que los sistemas subcorticales de motivación, recompensa y castigo están bajo la regulación

33 Diagnóstico Clínico Aplicado Año XII · Número 139 · Marzo 2023

cortical, de la corteza prefrontal derecha, cuando esta corteza es disfuncional presupone el riesgo de enfermedades como la farmacodependencia20.

Molécula de MDMA

El nombre de MDMA responde a la sustancia química identificada como N-metil 3,4metilendoxianfetamina o 3,4 metilendioximetanfetamina y es por las letras iniciales Metilendioximetanfetamina que produce el acrónimo MDMA. Como su nombre lo indica la MDMA se deriva de la metanfetamina 6 (Ver figura 1).

La molécula en estudio difiere de la anfetamina y de la metanfetamina en que tiene un grupo de metilendioxi (-O-CH2-O-) agregado en las posiciones 3 y 4 del anillo aromático de la molécula de anfetamina, esto comparte algunas de las características de la sustancia alucinógena mescalina, y es por esa estructura que se le atribuye al MDMA los efectos farmacológicos de una mezcla entre anfetaminas y mescalina. Dado que la estructura del MDMA también comparte similitud con: Epinefrina, dopamina y serotonina; además la mayoría de sus efectos biológicos se asemejan a estas moléculas naturales6. (Ver figura 1).

Figura 1. Estructuras químicas del MDMA, MDEA y Drogas similares comparadas con los neurotransmisores monoamina. Las flechas solo representan la mayor cercanía estructural de las moléculas y no las vías de síntesis o metabolismo6. En las estructuras los átomos de hidrogeno son de color blanco, carbono de color gris, azul nitrógeno y oxígeno color rojo. Figura tomada de Harold Kalant. The pharmacology and toxicology of “ecstasy” (MDMA) and related drugs. CMAJ. 2001 Oct 2; 165(7): 917-928 [Citado el 11 de Agosto del 2021]. Disponible desde: https://www. ncbi.nlm.nih.gov/pmc/articles/PMC81503/

Metilendioxianfetamina (MDA)

Metilendioximetanfetamina (MDMA)

Norepinefrina Dopamina

Serotonina

Metilendioxidetanfetamina (MDEA)

Mescalina Elemicina (en nuez moscada)

Trimetoxianfetamina (TMA)

3-Matoxi-4,5metilendioxianfetamina (MMDA)

34 Revista Bioreview®
Catinoma Catina Efedrina Anfetamina Metanfetamina
35 Año XII · Número 139 · Marzo 2023

Una estructura muy similar al MDMA es el del N-etil-3,4-milendioxianfetamina (MDA), la cual varía únicamente en la estructura de origen que es de una anfetamina y no de una metanfetamina es decir en tener un grupo metil asociado al nitrógeno en la metanfetamina y en la anfetamina no (Ver figura 1).

Como la anfetamina, MDA y MDMA son compuestos totalmente sintéticos, los 3 fueron sintetizados en 1885 6, 1910 y en 1912 2, respectivamente. La anfetamina se mercantilizo como reductor de peso en 1930, pero su venta, luego se redujo por el riesgo de dependencia y otros efectos adversos12. El MDA se patentó como un inhibidor de la tos en 1956, tranquilizador en 1960 e inhibidor del apetito en 1961, pero no se comercializó para ninguno de sus usos12. EL MDMA se pretendió monetizar como un inhibidor del apetito, aunque nunca se comercializó y sólo se utilizó de forma no médica6.

Epidemiología

Una forma de cuantificar el incremento en el consumo del MDMA es el incremento de las consultas por esta droga al Servicio de Emergencia. En Estados Unidos dichas consultas incrementaron de 10227 en el 2004 a 22498 en el 2011 21. En los años 90 se efectuó una encuesta a 3021 jóvenes de Alemania entre 14 y 24 años, que evidenció que abuso único de Éxtasis es poco común y sólo fue reflejado por el 2.6 % de quienes lo consumían22. Dentro de los usuarios crónicos lo usual era consumirla en conjunto con otras drogas, por ejemplo el 26% consumía opiáceos, 46% alucinógenos, 59% cocaína, el 97% cannabinoides y el 48% otras sustancias; por lo que el abuso ilegal de sustancias múltiples es más común en el usuario de Éxtasis que en aquellos que no lo usan y quienes consumían por primera vez el MDMA tenían mayor riesgo de consumirlo de forma crónica4,22.

Otro de los factores relacionados con el consumo de éxtasis es el sexo, puesto que más común en hombres que en mujeres4. El número de parejas sexuales en estudiantes universitarios en Estados Unidos también se asoció a un incremento en la probabilidad de consumo de éxtasis, siendo en quienes lo consumen el abuso de varias sustancias la regla4,23. Prosiguiendo con el uso éxtasis, las personas que lo usaron notificaron mayormente sexo anal desprotegido y mayor incidencia de enfermedades sexuales que quienes nunca lo habían utilizado24.

En el Este de Alemania, cerca del año 2005 un artículo reveló que el incremento del consumo Éxtasis se asociaba con un incremento en los crímenes relacionados con esa droga, la cuál era de uso no común en la población afrodescendiente, y representó para las personas con una enfermedad mental un aumentó en la probabilidad del consumo futuro de éxtasis25.

Clínica

Un estudio sugirió que se desarrolla hábito a los efectos del MDMA, pero las reacciones adversas tienden a aumentar si se continua su uso26, o cuando se asocia a actividad física intensa como bailar enérgicamente 27. A tal punto la actividad física favorece la toxicidad del MDMA en sus diferentes presentaciones, droga a la cual se le ha atribuido generar: aumento de la excitación y estado de alerta que se acompaña de aumento en la tensión que usualmente se manifiesta como aumento en la tensión muscular y en un constante movimiento inquieto de las piernas, visión borrosa, dolor de cabeza, pérdida del apetito e incluso la rigidez y dolor en la parte baja de la espalda y los músculos de las extremidades es muy común en presentarse 2 a 3 días después de su uso 2,13,28-30. Pápulas rojizas con distribución en rostro y perioral tipo acné 31, psoriasis guta-ta 32, hipertermia e incluso hipertermia prolongada por 2 meses 33, taquicardia, toxicidad cardíaca 34, isquemia miocárdica transitoria4, espasmo coronario 35, fibrilación atrial36, hipotensión, disección aórtica 37, pneumomediastino espontáneo 38, pneumomediastino por ruptura esofágica 39, hemoneumotórax40, gingivitis necrotizante (en aplicación local) 41, boca seca con aumento del riesgo de erosión del esmalte y caries dentales 42, hepatitis aguda en una presentación que varía desde asintomática hasta falla hepática aguda 43 (Ver Figura 2) lesión renal transitoria del túbulo proximal 44, insuficiencia renal aguda, retención urinaria 4, coagulación intravascular diseminada, rabdomiólisis, pérdida del conocimiento, desregulación autonómica 45, edema cerebral con síndrome de secreción inapropiada de la hormona antidiurética 46, deterioro en el flujo sanguíneo cerebral 47, hemorragia subaracnoidea no asociada a aneurimas 48.

La microangiopatía inducida por drogas puede ser provocada por el MDMA la cual se caracteriza por hemólisis microangiopática ejemplificada con esquistocitos en el frotis de sangre periférica, anemia, trombocitopenia leve a grave, aumento del lactato deshidrogenasa, una prueba de antiglobulina directa negativa (Coombs) 49.

En su uso agudo asocia una disfunción inmune asociada a

36 Revista Bioreview®

la concentración de MDMA en plasma 50 por lo que incluso se ha relacionado con reactivación del herpes zoster, infección secundaria a inmunosupresión para los casos en que se ha descartados otras causas 51, metahemoglobinemia adquirida 52, hiponatremia 53-55, hiponatremia severa 4, hiponatremia con edema cerebral con evolución fatal 56-58 e hiperkalemia con toxicidad fatal por MDMA 59. Además, en un caso con consumo de MDMA y heroína en orina se le atribuyó causar una mielopatía aguda 60. La toxicidad del MDMA a las neuronas dopaminérgicas resultó en cambios residuales a la respuesta de la dopamina 4,61 y se le relacionó con el Parkinson y una parálisis bilateral del nervio abducens 62, aunque para el caso del Parkinson se le contemplaron dudas 61. También se ha relacionado con el desarrollo de algunas enfermedades neurodegenerativas 63, y de un déficit cognitivo en demencia como en el accidente cerebrovascular 64.

El MDMA puede desarrollar síndrome serotoninérgico mediante la estimulación por liberación masiva de la serotonina, el cual es una condición potencialmente mortal caracterizada por la triada de: disfunción autonómica, actividad neuromuscular anormal y alteración del estado mental 65-67.

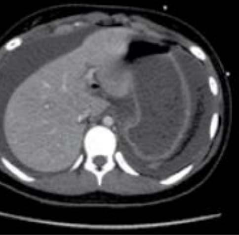
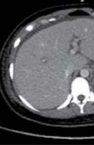
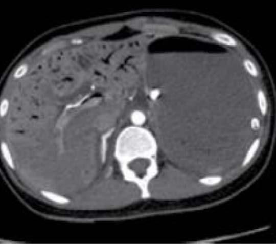
La imagen del centro hace referencia a la mejoría clínica

en la tomografía computarizada en el día 3, que mostro una resolución casi completa de la neumatosis intestinal, pero con una pérdida marcada del volumen hepático. En la imagen de la derecha se observa la resolución del íleo paralitico que resolvió con un manejo conservador al día 11, que muestra mejora en la apariencia de los intestinos y restauración del volumen hepático. En su egreso registró una función hepática normal en el día 28.

Un metaanálisis sobre los efectos agudos en las primeras 24 horas del consumo de éxtasis, reveló que los efectos somáticos eran los más frecuentes, registrando que el 80% o más de los usuarios refirió bruxismo, problemas dentales, cambios en la temperatura del cuerpo, fatiga física o mental, taquicardia, sudoración en las palmas de las manos, boca seca, sed e incremento de la energía; a su vez algunos sujetos se quejaron de dolor en el estómago o intestinal, incapacidad para orinar, dificultad para respirar, TICS musculares, nausea, vómitos, dolor de cabeza, mareo, dolor muscular68.

Trastornos psicológicos, psicomáticos y psiquiátricos asociados relacionados con MDMA

Producto del éxtasis se ha atribuido mejora el ánimo, bienestar, aumento de la sensibilidad emocional, poca an -

37 Diagnóstico Clínico Aplicado Año XII · Número 139 · Marzo 2023

un

de

La imagen de tomografía computarizada de la izquierda hace representación a una vista abdominal con distensión, hemato-quecia, y elevación del lactato arterial, demostrado por pneumatosis extensa en la vena portal hepática (A), con presencia de gas en la vena mesentérica superior (B) y neumatosis en la pared de los vasos pequeños(C). Figura tomada de Maharaj R., Pingitore A., Bernal W., et. al.: MDMA-induced acute liver failure and transient abdominal pneumatosis. Am J Gastroenterol 2015 [Citado el 17 de Septiembre del 2021]; 110: pp. 963. Disponible desde: https://www.proquest.com/openview/a1007e0b628bb12c2710a6d13c6f08f2/1.pdf?pq-origsite=gscholar&cbl=2041977

siedad, alteraciones moderadas del pensamiento sin alucinaciones ni reacciones de pánico, dificultad para concentrarse, bloqueo del pensamiento y dificultad para tomar decisiones69. Luego de su consumo en el segundo día las quejas mentales o anímicas más comunes son: Dificultad para concentrarse, depresión, ansiedad y fatiga13,70. Una minoría de los que consumen éxtasis desarrollan psicosis tóxica, convulsiones, aunque estas se atribuyen a la vulnerabilidad genética del individuo para desarrollar dichas

complicaciones71.

Con respecto a la psicopatología y la cognición en relación con efecto de éxtasis, un estudio entre consumidores habituales, consumidores con 2 años de abstinencia, consumidores de múltiples drogas sin experiencia en éxtasis y no consumidores de drogas reveló que en comensales habituales y en abstinencia tienen peor psicopatología que los usuarios consumidores de múltiples drogas. Agregado

38 Revista Bioreview®
Figura 2. Imágenes de una mujer de 20 años que fue admitida con hiperpirexia y sin respuesta después de la ingesta de MDMA. Desarrollo rabdomiólisis y daño agudo hepático, renal y cardíaco que requirió sistema soporte multiorgánica.

a ello quien ha usado éxtasis asoció una puntuación alta en factores específicos en el cuestionario SCL 90 R como: somatización, trastorno obsesivo compulsivo, ideaciones paranoides, depresión, ansiedad, ansiedad fóbica, desorden de sensibilidad interpersonal, alteración el apetito y trastorno del sueño inquieto 72. Hay que mencionar además que al uso MDMA se le ha incluido la presencia de flashbacks, ansiedad, insomio 73, ataques de pánico 7475, psicosis 76, efectos subagudos de somnolencia, depresión, ansiedad, irribilidad77. Efectos crónicos de trastorno de pánico 74,78,79, psicosis 4,10,76, flashbacks76, desorden de depresión mayor 4,74, alteración en la memoria. Dado que el desarrollo de estas condiciones sólo se presenta en algunos sujetos, el progreso de estas condiciones puede ser atribuido a vulnerabilidades individuales en el sujeto como al uso de MDMA en dosis altas 4. Respecto a las dosis altas algunos autores las ubican a un consumo de por vida de 500 tabletas de éxtasis, atribuyendo con ella una susceptibilidad a la neurotoxicidad (posiblemente asociada al sistema seroto-ninérgico 80) en el hipocampo que puede aparecer tanto en edades tempranas o agravar un deterioro de la memoria en los años siguientes 81.

En el caso de usuarios con consumo de múltiples drogas con consumo de éxtasis y sin consumo de éxtasis se concluyó que en quienes consumían éxtasis presentaron un déficit significativo en el reconocimiento de patrones visuales complejos y la memoria de trabajo espacial en comparación con farmacodependientes de múltiples drogas que no consumían éxtasis82.

Fisiopatología

La intoxicación por MDMA puede desencadenar un síndrome serotonininérgico83, representado por la tríada de: Alteración del estado mental, disfunción autonómica y actividad neuromuscular anormal84, patología que de no controlarse podría ocasionar daño orgánico e incluso la muerte. La serotonina liberada por la MDMA a su vez puede estimular la liberación de la hormona antidiurética del hipotálamo y de la glándula pituitaria ocasionando hiponatremia por hemodilución mediante ingesta de fluidos e incluso por síndromes de pérdida de sal, pudiendo incluso llegar a ser esta severa85. Incluso se podría generar una complicación severa de hiponatremia como el Síndrome de Ayus-Arieff, donde el edema cerebral causa edema pulmonar neurogénico mediado de forma central mediante el incremento en la liberación de catecolaminas y la lesión capilar86.

Cuando hay hiperkalemia, esta se asocia a un estado

hipermetabólico en el cuál la filtración glomerular esta reducida y hay un inicio en la rabdomiólisis la cual por destrucción de la célula muscular aumenta la concentración del ion potasio 59.

La toxicidad por MDMA ocasiona disfunción multiorgánica múltiple mediante hipertermia desencadenada por la estimulación de la serotonina 87, en tanto que en la falla multiorgánica a su vez genera edema pulmonar no cardiogénico 3,84,88-91. Un edema pulmonar no cardiogénico en un usuario con eutermia y sin falla multiorgánica es inusual 92-93. Como consecuencia del uso por MDMA, esta sustancia ha sido asociada a desencadenar metahemoglobinemia adquirida, representándole al usuario desaturación de oxígeno y estrés respiratorio 51. Continuando con la toxicidad de la droga en el hígado es posible que ocurra un daño severo 88,94 (Ver figura 2), en el corazón este efecto lo representa el espasmo coronario por disfunción endotelial 35. La anemia asociada al consumo de éxtasis se atribuye a un efecto secundario al estrés oxidativo, probablemente por la toxicidad de la droga95.

Para el caso del pneumomediastino espontáneo este puede ser ejemplificado por maniobras Valsalva a repetición como el esfuerzo de bailar, vómitos inducidos por la droga, e incluso relaciones sexuales con períodos prolongados96-97. A su vez en el pneumomediastino por ruptura esofágica es en encausado al contenido de un aditivo corrosivo en el éxtasis que ocasione la ruptura esofágica o que por la misma dismotilidad intestinal, genera esta ruptura esofágica39. El Hemoneumotórax que se le relacionó con el consumo de MDMA se atribuyó a la ruptura de las bulas como de adherencias vasculares apicales98.

Se le enlista retención urinaria por la liberación de la noradrenalina, la cual mediante la estimulación de los receptores alfa adrenérgicos media la retención urinaria, mecanismo que también se le atribuye a la disfunción del cuello vesical4.

La reacción acneiforme con pápulas rojizas y espinillas con distribución acneica en rostro y perioral se relacionó posiblemente al MDMA por estimular mediante la liberación de serotonina y afectar indirecta-mente las terminaciones nerviosas de las glándulas ecrinas por otros péptidos; por lo cual a través la estimulación sebácea favorece el desarrollo de espinillas31.

El daño hepático producido por una droga tiende a

40 Revista Bioreview®

ser resultado de la propiedad hepatotóxico; pudiendo clasificarse en tipo I por lesiones que aparecen en la mayoría de los individuos y que dependen de la cantidad y dosis administrada, las cuales generan un daño directo en causa de un desequilibrio funcional intracelular o por compromiso en la membrana celular por lo que produce una necrosis focal o zonal. La tipo 2 es independiente de la dosis y del tiempo lo que puede ser generado por: A. Hipersensibilidad por un proceso inmunitario en la que mediante propiedades antigénicas da lugar a la sensibilización de linfocitos de manera que en exposiciones posteriores mediante una respuesta inmunitaria retardada genera necrosis hepatocelular y B. Idiosincrasia metabólica individual que facilita la acumulación de reactivos en las células hepáticas por un metabolismos individual deficiente que usualmente se exacerba o se produce bajo condiciones ambientales y genéticas suficientes para generar alteraciones funcionales o daño estructural. Para el tipo II la muerte celular es mediada por necrosis difusa, centrolobulillar, periportal o incluso células del lobulillo hepático (necrosis masiva)99.

Un uso agudo del MD se ha relacionado una cinética de estimulación con el cortisol, de lo cual resalta una disminución en el porcentaje de células CD4, CD8, Linfo -

citos T maduros (CD3), aunque el número de leucocitos permanece estable y con un pico de efectos en el sistema inmune en un lapso de 1 a 2 horas54. La disminución en la cuenta de células T CD como en la respuesta de los linfocitos se debe a una estimulación mitogénica de Fitohemaglutinina A, siendo esta a su vez dosis dependiente de la MDMA50. En un estudio con 18 usuarios masculinos de éxtasis a los que se les administro 100 miligramos de éxtasis a las 4 y 24 horas, los linfocitos

T CD 4 redujeron un 30%, con la respuesta a la estimulación mitogénica de la Fitohemaglutinina A del 68%, una hora y media después de la primera dosis, como un incremento del 103% en el número de las células asesinas naturales o NK100. A las 4 horas la respuesta linfoproliferativa se reduce un 87%, el número de células

T CD un 40%, en tanto que las células NK aumentan un 141%, en tanto que a las 24 horas la segunda dosis incrementa las alteraciones celulares usuales. Pese a que a las 24 horas del cese del consumo hay una restauración parcial del sistema inmune50,100, la repetición en las dosis de éxtasis incrementa los intervalos en los que la respuesta inmune se compromete y tienden a un riesgo mayor de infección en los consumidores habituales de la droga100.

Las convulsiones pueden ser provocadas por la altera -

41 Diagnóstico Clínico Aplicado Año XII · Número 139 · Marzo 2023

ción en el balance de la vía excitatoria e inhibitoria de los neurotransmisores asociado al efecto del MDMA en el cerebro65,101. Respecto al deterioro del flujo cerebral demostrado en tomografías computarizada por emisión de fotón único (SPECT por sus siglas en inglés), es un fenómeno atribuido a la vasoconstricción por la disminución en la serotonina inducida por el éxtasis47,48.

El síndrome serotoninérgico puede presentar en rangos que varían desde benigno hasta letal102-105. Su origen se debe a la estimulación del sistema serotoninérgico en el sistema nervioso central de los receptores postsinápticos 5-HT1A y 5HT2A106, pero tampoco se le responsabiliza a un solo receptor de causarla102. Dado su origen en el incremento de actividad del sistema serotoninérgico cualquier droga o combinación de drogas que incremente la neurotransmisión serotoninérgica puede causarlo107.

Respecto a microangiopatías trombóticas inducidas por drogas, corresponde a un tema que se tiende a categorizar en los síndromes que son mediados por respuesta inmune, como en los que pueden ocurrir después de la exposición de cualquier cantidad de droga108, por un mecanismo dependiente de anticuerpos, idiopática y síndromes no inmunes los cuales son dosis dependientes109,110. Ante la exposición de la droga se induce la formación de anticuerpos dependientes de la droga que causan toxicidad directa en los tejidos provocando la formación de trombos con gran cantidad de plaquetas en los capilares o arteriolas pequeñas. En algunas ocasiones el mecanismo de producción es no dosis dependiente e incluso no se sabe si lo que la produjo es el fármaco conocido u otro compuesto agregado110.

La enfermedad valvular puede ser originada por el incremento en la actividad serotoninérgica inducida por el MDMA111. El ecocardiograma y los hallazgos patológicos en las válvulas cardíacas observados en pacientes con enfermedad valvular inducida por drogas es similar a la enfermedad carcinoide cardíaca con compromiso valvular112. El vínculo entre ambas patologías se asocia a la elevación de la serotonina en el suero y plasma de la mayoría de paciente con la enfermedad carcinoide113; La activación de los receptores de 2B-Serotonina que se encuentran en la válvula mitral y aórtica, son necesarios para inducir enfermedad valvular111. Un estudio in vitro mostró que el MDMA y su metabolito N-desmetilado, 3,4-metilendioxianfetamina activo el receptor de serotonina 5-hidroxitriptamina 2B (5-HT2B), obteniendo una respuesta mutagénica prolongada en las células intersticiales valvulares humanas 1114.

Farmacología

Rutas de Administración y Dosis:

El MDMA en su presentación usual en tableta al cual se le conoce como Éxtasis, en tanto que en su presentación en polvo Molly, puede estar mezclada con diferentes componentes91. Al igual que en las anfetaminas, el MDMA y sus compuestos relacionados son aminas que pueden existir como bases libres, sales o ácidos. Las bases libres son volátiles y se pueden comercializar en inhaladores, aunque el grupo metilendioxi presente en el MDMA y el MDEA elevan tanto el punto de ebullición de la base libre que hacen muy difícil el poder esnifar el vapor de estos compuestos2. Las sales no son volátiles, pero, son solubles en agua y pueden por tanto ser administradas de forma intravenosa, oral o esnifarla al convertirla en polvo115-116.

El éxtasis o la tableta típica de MDMA en Europa y Norteamérica tiene un aspecto profesional con gran diversidad de estampados en ellas, aunque su composición en la tableta con respecto al MDMA varia117-118. La sustancia heterogénea que se comercializa en las calles puede no estar compuesta solo de MDMA y puede albergar adulterantes sintéticos más fáciles de obtener como feniletilaminas psicoactivas (2CB, 2CT2, 2CT7, DOM), Bromo-dragonfly, triptamina (DMT, 5 Meo-DMT y Foxy)119-120, cafeína, efedrina, metanfemina, para-metoximetanfetamina(PMA), ketamina, sales de baño (MDPV o metilendioxipirovalerona)121, meti-lendioxianfetamina (MDA), metilendioxietilanfetamina (MDEA), 3,4-metilendioxi-fenil-N-metilbutamina (MBDB)193,122 o diversas mezclas de estas sustancias6,123-124, no obstante la gran mayoría consiste solo de una droga activa125.

Respecto al consumo de tabletas por usuario este puede variar mucho; en Europa, Norte América y Australia se utiliza usualmente en fiestas, en lugar del consumo solitario126. Esto porque su popularidad permite postponer la fatiga haciendo que la persona baile por horas, para este propósito la dosis común va de 1 a 2 tabletas29,127, aunque ocasionalmente hay consumo altos de hasta 10 tabletas en conjunto con otras drogas128-130 que conllevan a efectos tóxicos e incluso fatales131.

Pese a que la dosis recreativa de MDMA es de 1-2 mg/kg, las píldoras usualmente contienen entre 50 a 150 mg de MDA (metabolito del MDMA)117-118, e incluso la cantidad de MDMA varia hasta 70 veces en diferentes lotes de tabletas, con cantidades que van de 0 a más de 100 mg6.

42 Revista Bioreview®

Farmacocinética

El MDMA usualmente se ingiere en pastillas de forma oral 6, por lo cual se absorbe rápidamente en el tracto intestinal método que lleva a un inicio de sus efectos entre 30 y 60 minutos, como de un efecto pico reportados a los 90132 y 120 133-134 minutos y un pico en los niveles del cerebro entre 60 y 180 minutos135,así como una vida media de 8 a 9 horas 132. En un estudio con voluntarios las dosis de 50 mg, 75 mg y 125 mg, representaron para los consumidores un pico en las concentraciones en sangre de 106 ng/ml, 131 ng/ml y 236 ng/ml, respectivamente, las cuales son concentraciones que se relacionan con niveles bajos debido a que el fármaco pasa fácilmente a los tejidos y se une a sus componentes6.

La metabolización del MDMA es realizada principalmente en el hígado en el sistema microsomal por el citocromo P450 en la isoforma 2D6 (CYP2D6)136, mediando la contribución con el citocromo P450, isoformas 1A2 y 3A4 (CYP1A2 y CYP3A4, respectivamente)137,138. El CYP2D6 degrada mayormente el MDMA mediante la 4-hidroxi-3-metoximetanfemina (HMMA); aunque para sujetos con pobre actividad de esta enzima exhiben en plasma mayor cantidad de MDMA y menor de HMMA. Otro de sus metabolitos es el MDA que se produce en menor cantidad e involucra los citocromos CYP3A4 y CYP2B6 139.

En la degradación del MDMA actúan diversas enzimas, en donde algunas parecen estar saturadas en concentraciones pequeñas del fármaco, por lo que a medida que hay un incremento en la dosis y se saturan, las enzimas de mayor afinidad generan cambios desproporcionales en las concentraciones sanguíneas y cerebrales del fármaco, asociando que pequeños aumentos en la dosis se relacionen con grandes aumentos en la toxicidad140. Los metabolitos oxidativos primarios como glucurónido y conjugados de sulfato se excretan en la orina 141, aunque hasta un 75% del MDMA se excreta en la orina sin cambio 136,142.

Del total de los citocromos hepáticos el citocromo P450 isoforma 2D6 solo representa el 1 al 2 % del total 143,144, pero es responsable del metabolismo en aproximadamente 20 a 30% de los fármacos que son comercializados 145,146. Dicha enzima presenta un polimorfismo genético que se clasifica en individuos por un fenotipo de pobre, extenso, metabolización ultrarrápida (PM, EM y UM, respectivamente)147; en donde más de 70 alelos se han descrito respecto a la conformación de esos fenotipos146. Para el caso de quienes presentan un metabolismo pobre se debe alelos homocigotos que presentan un borramiento del gen que genera una proteína inactiva y se les conoce colectivamente como alelos nulos, en cambio cuando hay presencia de alelos funcionales homocigotas se debe a un incremento de la proteína activa que produce el fenotipo

43 Diagnóstico Clínico Aplicado Año XII · Número 139 · Marzo 2023

de metabolización ultrarápida148. Muchos otros alelos generan una actividad disminuida pero no ausente del citocromo 2D6, lo que manifiesta un metabolizador intermedio y usualmente se le clasifica como de metabolización extensa (EM)149.

Es necesario destacar que algunas personas tienen una susceptibilidad individual al MDMA que se relaciona con un metabolismo alterado del Citocromo P450 CYP2D6, ya sea inhibido farmacológicamente o por un metabolismo defectuoso (presente en el 5-9% de caucásicos)4,122. El MDMA puede inhibir su propio metabolismo150, a razón de que la enzima que lo metaboliza principalmente disminuye su actividad porque para su recuperación es necesario se sintetice de nuevo con una vida media de recuperación para el citocromo 2D6 de 51-70 horas151-152. Un modelo de cinética in vivo sobre los efectos del MDMA relaciono que puede tomar hasta 260 horas recuperar el 90% de la actividad de CYP2D6 después de una dosis recreacional153. De igual forma la gravedad de la toxicidad metabólica del MDMA también puede depender de factores ambientales un espacio cerrado y la temperatura del lugar 6.

Dado que la vida media del MDMA es de 8 horas, toma aproximadamente 5 vidas medias eliminar el 95% de la droga para ser limpiado del cuerpo, por lo que la persistencia de los efectos secundarios puede estar presentes 2 días luego de su uso6,133,134. Debido a que algunos de los metabolitos del MDMA son farmacológicamente activos, el efecto de estos o este (Su metabolito activo principal es MDA) podrá ser más larga que la del MDMA6, que para el caso del MDA tiene una vida media de 16-30 horas154.

Farmacodinamia

La 3,4-metilendioximetanfetamina o MDMA es una metanfetamina simpaticomimética que al unirse a los transportadores presinápticos de monoaminas causa la liberación endógena de norepinefrina, dopamina y serotonina155-157 y bloquea la recaptación de estos en la vesícula presináptica117,158,159 (Ver figura 3). La liberación de serotonina y norepinefrina contribuye a los efectos psicotrópicos de la MDMA en los seres humanos160-164. Agregado a ello también induce la liberación de oxitocina, a la que se le atribuye disminuir en la sensación de miedo165, además de la liberación de Arginina Vasopresina que induce la hiponatremia86.

El MDMA penetra la barrera hematoencefálica e interacciona con los sitios de reconocimiento en el cerebro, pero con quienes muestra una mayor afinidad es con los trans-

portadores de serotonina, seguido de los de norepinefrina y dopamina. Se ha reportado la unión con receptores alfa 2 adrenérgico, serotonina (5-HT2), H1 de Histamina, betaadrenérgicos y los D1 y D2 de dopamina165,166.

Usualmente al hablar de los efectos del MDMA se toma como perspectiva que en exposición aguda de esta sustancia hay una marcada elevación de la 5-HT c3,4-metilendioximetanfetamina o MDMA es una metanfetamina simpaticomimética que al unirse a los transportadores presinápticos de monoaminas causa la liberación endógena de norepinefrina, dopamina y serotonina155-157 y bloquea la recaptación de estos en la vesícula presináptica117,158,159. La liberación de serotonina y norepinefrina contribuye a los efectos psicotrópicos de la MDMA en los seres humanos160-164. Agregado a ello también induce la liberación de oxitocina, a la que se le atribuye disminuir en la sensación de miedo165, además de la liberación de Arginina Vasopresina que induce la hiponatremia86.

El MDMA penetra la barrera hematoencefálica e interacciona con los sitios de reconocimiento en el cerebro, pero con quienes muestra una mayor afinidad es con los transportadores de serotonina, seguido de los de norepinefrina y dopamina. Se ha reportado la unión con receptores alfa 2 adrenérgico, serotonina (5-HT2), H1 de Histamina, betaadrenérgicos y los D1 y D2 de dopamina165,166.

Usualmente al hablar de los efectos del MDMA se toma como perspectiva que en exposición aguda de esta sustancia hay una marcada elevación de la 5-HT extracelular, la cual es generada por la liberación del 5-HT y de prevenir su recaptación al revertir la acción de la proteína transportadora 167,168. Esta droga además interactúa con el transportador de monoamina vesicular, que es responsable de re empaquetar la 5-HT citosólica libre en vesículas; al unirse el MDMA al transportador de monoamina vesicular se inhibe el reenvasado de 5-HT por lo que aumenta los niveles de 5-HT dentro de la célula y una salida sustancia de 5-HT a la sinapsis; respecto la noradrenalina y la dopamina tienen aumentos mediante un mecanismo similar165.

Por los efectos de la liberación de neurotransmisores se produce taquicardia, hipertensión y hipertermia117,135, mediando usualmente la norepinefrina como cardio estimulante y psicoestimulante en la respuesta del MDMA162,169. Aunque el MDMA tiene la capacidad de inducir respuesta por estos neurotransmisores, la concentración necesaria de MDMA para estimular la liberación de serotonina es 10 veces inferior que la necesaria para que

44 Revista Bioreview®

se libere norepinefrina y dopamina9,83,170,171.

Los consumidores de MDMA tienden a alcanzar la experiencia de los efectos deseados una hora después de la administración oral158. Usualmente cuando hay un aumento de MDMA en el plasma, incrementan en los efectos buenos de la droga162. Quien consume MDMA disminuye la actividad de la amígdala y ínsula derecha en respuesta a disminuir los estímulos emocionales negativos e incrementa la actividad en la corteza superior frontal, así como la conectividad entre la amígdala y el hipocampo172-175.

La norepinefrina se asocia a los efectos psicoestimulantes del MDMA; aunque no se sabe cuáles receptores adrenérgicos están involucrados176-178. Otros estudios indican que los receptores adrenérgicos alfa 1 regulan los aspectos de la adicción psíquica, incluyendo la inducción de estimulación locomotora179-183, la liberación de dopamina en el sistema mesolímbico181,184,185, la administración a si mismo186 y la búsqueda de la droga186,187. Los efectos del receptor adrenérgico 1 alfa, también potencia los efectos psicoestimulantes sobre el sistema de dopamina, que se cree media principalmente los efectos gratificantes y reforzantes de las drogas de abuso188. A nivel cardiovascular los efectos del MDMA respecto al aumento de presión y taquicardia se relacio -

nan con los receptores alfa y beta, esto porque al utilizar medicamentos que bloqueen estos receptores disminuye el efecto de la respuesta cardíaca asociado con el consumo de MDMA189-192.

En dosis de 1.5 mg/kg asocia efectos circulatorios que producen aumentar la frecuencia cardíaca en 28 latidos por minuto, la presión sistólica en 25 milímetros de mercurio, en 7 a la presión diastólica y el gasto cardíaco en dos litros por minuto193.

Al producir MDMA usualmente se obtiene combinaciones racémicas de sus estereoisómeros, pero los estereoisómeros difieren de uno a otro en aspectos importantes6. El estereoisómero S(+) MDMA es más potente que R(-) MDMA en producir los efectos subjetivos característicos del éxtasis194,195; además algunos estudios a su vez sugieren que el isómero R(-) tiene características como las que produce que el mescalina o el ácido lisérgido, en tanto que el isómero S(+) corresponde con propiedades similares a la anfetamina. A su vez los isómeros S(+) y R(-) de MDMA como de MDA difieren en las curvas de dosis respuesta respecto a la función serotoninérgica como de neurotoxicidad196. Agregado a ello los isómeros de MDMA también difieren en la velocidad a la que se convierten en sus correspondientes metabolitos de MDA197.

45 Diagnóstico
Año XII · Número 139 · Marzo 2023
Clínico Aplicado

Debido a que tanto la cantidad MDMA como los componentes pueden variar en una tableta o en el polvo, la respuesta a la dosis también puede ser diferente de una persona a otra, y de igual forma este aspecto puede generar sobredosis desapercibidas198. Usualmente el ambiente en que se usan puede potenciar su toxicidad199, aunque dosis altas puras de MDMA han sido consideradas seguras al haber sido expuestas en algunos casos y sobrevivir198,200-201. El hecho de que alguna persona pueda resistir una dosis muy alta y pura no imposibilite las fatalidades por MDMA en otras personas, las cuáles han sido atribuidas a hipertermia, rabdomiólisis severa y hiperkalemia198; incluso se han usado para cometer suicidio6. Dado que la mayoría de los casos con toxicidad y muerte se asocian a concentraciones entre 0.5 y 10 mg/l202, e incluso se reportan en concentraciones tan bajas como 0.11-0.55 mg/l, la cual se encuentra dentro del rango normal o un poco por encima, hace remembranza a la gravedad de los factores ambientales al producir una fatalidad6. Probablemente la variabilidad de la dosis dependa del ambiente y de capacidad enzimática de cada individuo en un momento por lo que

controversialmente la dosis letal 50 no ha sido calculada para el hombre, pero si ha determinado para mamíferos como ratas en 49 mg/kg, perros 14 mg/kg y macacos Rhesus en 22mg/kg203.

Interacciones con MDMA en forma de éxtasis:

Etanol: Nueve hombres sano con una media de 23 años, a los que se les aplicó un diseño cruzado, doble ciego, aleatorizado y control con placebo para la interacción de una dosis única de éxtasis de 100 mg y alcohol a 0.8 g/kg, reveló que la combinación de ambos productos revirtió la sedación del etanol aunque no disminuyó el deterioro psicomotor del procesamiento visual generado por el alcohol y amplió la sensación de euforia provocad por éxtasis y la concentración plasmática de éxtasis aumentó un 13%204.

Medicamentos:

Fármacos Serotoninérgicos: El éxtasis en combinación con otras sustancias serotoninérgicas como los antide -

Fuente:

46 Revista Bioreview®
Figura 3 Representación de los efectos del MDMA en el axón terminal, espacio presináptico y espina dentrítica. Elaboración propia.

presivos inhibidores de la monoamino oxidasa (IMAO) y inhibidores reversibles de la monoaminooxidasa (RIMA) pueden causar complicaciones potencialmente letales asociadas con la presencia del síndrome serotoninérgico205.

Los inhibidores selectivos de la recaptación de serotonina (ISRS) se relacionan con reacciones adversas psiquiátricas por potenciar los efectos neuroquímicos e influir en el comportamiento4. La Moclobemida como inhibidor de la monoamino oxidasa A, aumenta los niveles de serotonina y se le ha asociado a muertes que tuvieron interacción con éxtasis206. Mediante la inhibición del citocromo CYP2D6 la cual es la vía principal por la que se metaboliza el MDMA, el Ritonavir genera interacciones clínicas relevantes207.

La doxazocina como un inhibidor de los receptores adrenérgicos alfa, redujo las elevaciones de MDMA en presión arterial, temperatura corporal, taquicardia y el estado de ánimo moderadamente atenuado, por lo que algunos autores interpretan que induce que los receptores alfa 1 se relacionan con la respuesta aguda cardio estimulante, de menor forma con la termogenia y los efectos eufóricos del MDMA en humanos186.

Neurotoxicidad a la serotonina

En altas dosis el MDMA induce una liberación masiva de serotonina no solo generando síntomas psicóticos agudos, sino también asociando daños químicos6.

Con respecto a los efectos a largo plazo en los usuarios con consumo de MDMA, cuando estos fue-ron examinados sin consumo de la droga, los niveles de serotonina y sus metabolitos en líquido cefalorra-quídeo fueron anormalmente bajos208, así como un número reducido de moléculas transportadoras de serotonina209-211, incremento en el número de células gliales212, alteración en los patrones del metabolismo de la glucosa y en el flujo sanguíneo en ciertas partes del cerebro213,214.

Electroencefalografías han identificado una disminución en la simetría bilateral de frecuencia y patrones de onda en usuarios de MDMA, similares a los cambios del envejecimiento y demencia215, y un cambio en la respuesta al estímulo auditivo que se identificó en usuarios con consumo de MDMA y no se manifestó en quienes consumían a cannabis o alguna otra droga216.

Muchos estudios han demostrado que el grado de cambio en la función de serotonina es proporcional a la duración

47 Diagnóstico Clínico Aplicado Año XII · Número 139 · Marzo 2023

e intensidad del consumo de MDMA, haciendo compatible que el uso de MDMA sea la causa más que la consecuencia deficiente de la serotonina6.

Hallazgos patológicos:

En el espectro de los hallazgos patológicos su mecanismo de daño se correlaciona con hipertermia y por un efecto tóxico4. Usualmente las muertes se ven asociadas a daño hepático significativo, lesión orgánica al cerebro con sangrado focal, edema macroscópico, signos neuronales, cambios hipóxicos, e incluso en un caso que falleció por intoxicación de agua, la glándula pituitaria estaba necrótica y se acompañaba de edema cerebral4.217,218. Otro de los mecanismos de daño que produce patologías tiende a ser la respuesta idiosincrática del éxtasis218.

Las vísceras pueden mostrar estasis poli visceral, petequias subserosas difusas; el corazón reveló bandas de contracción, necrosis con inflamación4,217, miocitólisis coagulativa, áreas de hemorragia subendocárdica. Conviene aclarar que en los casos con necrosis coagulativa sin necrosis por infarto el mecanismo sugiere que es a causa de sobrecarga adrenérgica218.

En los pulmones puede estar presente la hemorragia subpleural e intraalveolar con edema severo e incluso en formaciones micro trombóticas en los capilares pulmonares. El hígado también reveló esteatosis micro vesicular, necrosis centrolobulillar con precipitación de fibrina en toda el área afectada por necrosis; en el riñón se demostró trombos de fibrina en los glomérulos, necrosis tubular aguda, mioglobina en el túbulo proximal218.

Con respecto a los casos con daño hepático. la biopsia percutánea ha demostrado rasgos de hepatitis aguda colestásica, colangitis, así como la presencia de histiocitos y eosinófilos que sugieren una respuesta de hipersensibilidad219.

Para el caso de mielopatía aguda con consumo de MDMA y heroína avaluada en una prueba de orina, el proceso patológico invadió principalmente las células de la asta anterior, representando así la muerte de las neuronas motoras, que continuó con las raíces nerviosas y el plexo lumbar a causa de la degeneración wallerina.60

Valoración en toxicología de la presencia del MDMA

Analizar el cabello puede estimar si se utilizaron drogas en las últimas 4 semanas, con una relación aceptable

acorde a lo indicado por quien menciona uso del éxtasis, aunque su estudio no muestra el patrón de uso del éxtasis, dosis ni dosis acumulativa de por vida220.

Un análisis que se ha utilizado para detectar la presencia de déficits en la memoria de los usuarios de éxtasis y sus cambios con regiones específicas del cerebro ha sido el N Acetilaspartaro; él cual es un marcador de disfunción cerebral o pérdida neuronal en la espectroscopia por resonancia magnética de protón220.

La técnica más común en la cuantificación del MDMA para tabletas de éxtasis es la cromatografía por gas, la cual se puede a acoplar a varios detectores: Espectrometría de masas, detector de nitrógeno fósforo, de ionización de llama. Determinar la pureza del éxtasis se puede cuantificar con la espectroscopia del infrarrojo cercano y la resonancia magnética nuclear cuantitativa de hidrógeno (1H-qNMR) que son técnicas que no necesitan un paso de separación221-223. Dado que la 1H-qNMR establece directamente en un área la cantidad de núcleos, facilita las herramientas forenses dado que no siempre se tiene un patrón del analito en estudio, además de que puede identificar y cuantificar otras sustancias presentes en una tableta de éxtasis 221,224,225.

Muertes asociadas a MDMA

Fue hasta 1987 cuando se atribuyeron las primeras muertes por MDMA en Estados Unidos226. En un estudio de Nueva York de enero de 1997 al 2000: 19366 muertes fueron relacionadas con éxtasis, aunque apenas en 13 de estas la causa de muerte fue por intoxicación aguda de MDMA y 2 por combinación de causas naturales y efectos de la droga227. Como el consumo de MDMA se asocia a un ambiente con incremento de la actividad física y termorregulación alterada como lugares cerrado con muchas personas en donde se haga ejercicios, estas condiciones ambientales puede favorecer a desarrollar inconsciencia, convulsiones, hipertermia, hiponatremia severa, taquicardia, hipotensión, coagulación intravascular diseminada, insuficiencia renal aguda y el fallecimiento4,, así como hipertensión, hipertemia, delirio, hemorragia intracraneana, estatus epiléptico y la muerte228, aunque por el simple hecho de la presencia de su consumo no se le puede atribuir al fármaco una muerte relacionada con su toxicidad.

Dado que el consumidor habitual de éxtasis tiende a abusar de otras drogas, las muertes relacionadas con el consumo de éxtasis tienden en su mayoría a que se hallen otras sustancias, tal y como se reveló en el Programa Nacional de

48 Revista Bioreview®

Muertes por Abuso de Sustancias en Inglaterra y Gales en el periodo de 1996 al 2002, donde se registró 202 muertes, 75% de ella en menores de 29 años y con una incidencia de 4 hombres por cada mujer; agregado a ello únicamente en el 17% de ellas existió un consumo único de éxtasis, en tanto que las otras hubo un consumo predominantemente de alcohol, cocaína, anfetamina y opiáceos218.

En relación con el éxtasis y su dosis, la naturaleza de su toxicidad es impredecible probablemente por la variabilidad en sus componentes y del sujeto dado que en algunos casos la muerte puede ocurrir con una tableta y en otros a pesar de una gran ingesta de tabletas sobreviven4. En gran parte de los casos que mueren hay daño hepático significativo asociado a necrosis, otros tienen en corazón necrosis con bandas de contracción o necrosis con inflamación. Se ha establecido que para sujetos jóvenes con uso de drogas de novo o en quienes no las hayan utilizado previamente y reportan en el servicio de emergencias una pequeña ingesta de éxtasis con hepatomegalia, ictericia inexplicable, alteraciones en la función hepática y en ausencia de exposición a otras sustancias debe ser atribuida al consumo de esta droga e incluso la hepatotoxicidad puede ser la causa de su muerte229-231.

Uso del MDMA en medicina:

Efectos deseables del MDMA son: Aumento en la vigilia, en la resistencia y la sensación de energía, la excitación sexual, aplazamiento de fatiga y somnolencia29,70,232, sensación de bienestar, euforia, capacidad sensorial aguda, mayor sociabilidad, incremento de la sensación de cercanía a otras personas, extraversión y mayor tolerancia a las opiniones y sentimientos de otras personas13,28,70.

En la década de 1970 se le encontró su uso como agente terapeútico233,234, sin embargo, por su potencial de abuso las agencias gubernamentales de Estados Unidos colocaron restricciones estrictas para su uso158,235.

Alexander Shulgin en 1980 utilizó el Éxtasis en conjunto con la psicoterapia como un medio para mejorarla, estableciendo la sospecha de que esta droga mejora la vida, el estado de ánimo y asocia efectos cognitivos que perduran después de su uso; incluso contempló que en usuarios con predisposición psiquiátrica puede aumentar la separación de la toxicomanía aguda y crónica4.

Un estudio doble ciego con placebo controlado con 13 individuos sanos a los que se les suministró una dosis recreativa de MDMA de 1.7 mg/kg, determinó que el MDMA

produjo un estado de mejor humor, bienestar, mayor capacidad de respuesta emocional, despersonalización leve, desrealización, trastornos del pensamiento, ansiedad, cambio en su sentido del espacio y tiempo, mayor conciencia sensorial y mayor impulso psicomotor236.

A pesar de que para el Trastorno de estrés postraumático hay tratamientos de primera línea que involucran combinaciones de farmacología y psicoterapia237, la respuesta es insuficiente en considerables cantidades de personas, en donde incluso abandonan del tratamiento238. Un tratamiento alternativo que se encuentra en desarrollo es la Psicoterapia asistida con 3,4-metilendioximetanfetamina; la cual ha sido valorado por la FDA como una terapia innovadora al completar el ensayo de fase 2 239-241 y que continuo con un ensayo fase 3 en varios sitios242,243, como Israel, Estados Unidos y Canada 244. Dado su exposición en la terapéutica en el estudio de fase 2 se informó una tasa de éxito cercana al 60% en más de 100 casos con TEPT grave239-241,245. En el 2021 un estudio fase 3 concluyo que el MDMA en conjunto con la psicoterapia es altamente efectivo al tratar síndrome de estrés Postraumático severo y predomina su beneficio al comparar con sus comorbilidades244.

Los efectos del MDMA tienen como terapéutica sus efectos incrementar las interacciones, disminuir las respuestas adversas a las expresiones faciales negativas, al rechazo social246; además incrementó la conducta prosocial y cooperativa247 quien en conjunto con la psicoterapia lo convierte en un tratamiento efectivo para el TETP248-252. La posibilidad de revivir la memoria sin una experiencia emocional extremamente negativa lo convierte en una terapéutica para los usuarios que usualmente abandonaban el tratamiento al revivir esos recuerdos 252-255.

El MDMA también ha sido contemplado para el tratamiento de ciertos desordenes de la salud mental y de adicción239,248-252,256-262, en particular como complemento de la psicoterapia tradicional. Incluso se ha generalizado para los desórdenes de ansiedad263, trastornos del estado de ánimo260, autismo 261,254, y abuso de sustancias256,265.

Al presentar 2 enantiómeros con diferente perfil neuroquímico, las opciones de tratamiento MDMA podrían ser más selectivas. El enantiómero R(-) es un liberador menos potente en la liberación de dopamina y más potente para liberar 5-HT266,267. Es importante que enantiómero del MDMA o esta sustancia en mezcla racémica produce efec-

49 Diagnóstico Clínico Aplicado Año XII · Número 139 · Marzo 2023

tos prosociales, ansiolíticos facilitando la extinción del miedo en pruebas preclínicas, pero el isómero R(-) produce menos efectos tóxicos que el S (+)268, e incluso menor potencial de abuso 269-271.

Áreas anatómicas diana en el funcionamiento del MDMA

Las estructuras anatómicas en las que se ha evidenciado actividad MDMA mediante la disminución de los transportadores de serotonina son el giro del cíngulo posterior, núcleo caudado izquierdo, tálamo, corteza occipital, lóbulo temporal medial, hipocampo y el tronco encefálico272. El deterioro de la memoria, el menor rendimiento en pruebas de memoria verbal se asocia al deterioro en la corteza prefrontal273, también hay una disminución en la respuesta de la amígdala izquierda, menor activación en el lóbulo temporal anterior izquierdo, y mayor actividad en circunvolución frontal superior y en la corteza dorsal prefrontal medial 274,275.

El tálamo alberga el núcleo dorso medial en su región medial, a su vez la parte medial del tálamo es responsable de la interacción de una gran variedad de información sensitiva como la olfatoria, la visceral y la somática, relacionando a su vez esta esta con sentimientos, emociones y estados subjetivos276. Una zona grande del cerebro que se localiza delante del área precentral e incluye las circunvoluciones frontales superior, media e inferior, la circunvolución orbitaria, la mayor parte de la circunvolución frontal y la mitad anterior de la circunvolución del cíngulo es la corteza prefrontal; dado que esta estructura participa en la elaboración de la personalidad del sujeto, regula la profundidad de los sentimientos de una persona e influye en la iniciativa y el juicio de un sujeto277, es de suma importancia. En la Figura 4 se puede apreciar algunas de estructuras del cerebro en las que el MDMA asocia como diana cuando se le utiliza en terapéutica.

Tratamiento de efectos adversos causados por MDMA

En relación con las convulsiones provocadas por el consumo de MDMA, cuando se presente con o sin hiponatremia son tratadas con benzodiacepinas y la corrección del sodio en caso necesario. El mecanismo por el que el MDMA induce las convulsiones hace ilógico el tratamiento con fenitoína, esto porque la fenitoína es un agente que bloquea los canales de sodio y el mecanismo producción de las convulsiones por MDMA es debido a un balance alterado en la vía excitatoria e inhibitoria de los neurotransmisores65,101.

En relación con las otras patologías que se puedan inducir por el consumo de MDMA, así como las condiciones individuales que señalan la pauta a seguir el tratamiento necesario, así como la divergencia con el tema de estudio, se prefirió no abordar otras áreas

Figura 4 A. Corte Coronal a nivel de los cuerpos mamilares que permite distinguir la estructura del hipocampo en el cerebro278, B. Vista lateral del hemisferio cerebral derecho diseccionado para mostrar la posición del núcleo279, C. Visión del lado izquierdo, del hemisferio cerebral izquierdo278, D. Visión medial del hemisferio cerebral derecho278, E. Vista lateral del hemisferio izquierdo de la língula, giros cortos, giros largos, surco circular y surco central de la ínsula, F. Hemisferio cerebelar izquierdo con representación de los Tractos de asociación, asociaciones de neuro fibras, fibras arqueadas y fibra arcuata278. Imagen A, C, D, E y F modificadas de Friedrich Paulsen y Jens Waschke. Atlas of Anatomy Sobotta: Head, Neck and Neuro-anatomy. Capítulo 12: Brain and Spinal Cord. Décimo sexta Edición. Elsevier: Múnich, Alemania 2018. pp 257-440, correspondientes respectivamente con las letras A, C, D, E y F a: Fig.12.29a, 12.25a, 12.25b, 12.21, 12.30. Imagen B modificada de figura 7-15 de Richard S. Snell PhD. Neuroanatomía Clínica. Capítulo 07: El Cerebro. Séptima Edición. Wolters Kluers Health: España 2014.

de esta temática.

Presentación de Resultados

A propósito de un caso de toxicomanía con consumo de MDMA en el servicio de clínica médico forense:

50 Revista Bioreview®

Usuario de 29 años, con escolaridad hasta sexto año de escuela, que fue valorado el 11 de marzo del 2020 a las 13:00 horas por el Servicio de Clínica Médico Forense por solicitud de la autoridad judicial con la finalidad de “Determinar si el imputado es adicto a algún tipo de drogas”. Al preguntarle sobre la presencia de toxicomanías indicó que su preferencia es por el alcohol y la marihuana agregando que:

1. Inició el consumo de alcohol a los 11 años con cerveza. Mantiene un consumo mínimo de 1-2 cervezas por semana y máximo 3 cervezas. Con último consumo “una cerveza ahora el fin de semana, el do-mingo como a las 11 de la noche”, indicando que consume la cerveza sola, sin mezclarla con otros componentes.

2. Fumo cigarrillos de tabaco desde los 15 años, con consumo de 10-12 cigarrillos al día que mantiene hasta la actualidad. Con último consumo “ahorita temprano antes de entrar”, a las 13:00 horas aproximadamente.

3. Consume marihuana desde los 17 años, con consumo gradual que incrementó hasta 3 gramos al día de hoy, mediante fumado “lo compro, lo descapullo, en boleta especial, lo enrolo y lo fumo”. Estableció que el último fue ahora a las 12 medio día, “un puro, tal vez pueda ser

menos de 1 gramo, como 0.8, tal vez”. Refiere consumirla porque lo relaja del estrés diario “lo hace más fácil”, refiere que ha consumido menos cantidad, por cambios emocionales con predominio de tristeza.

4. Indicó un consumo de cocaína mediante inhalación que inició a los 20 años, con consumo ocasional si acaso 1 al mes de 2 líneas, especificando que su último consumo fue hace más de 1 mes.

5. Negó consumir: Crack, sales de baño, heroína, raíz de ayahuasca, reina de la noche, ketamina, metanfetaminas, u otra droga.

Con respecto a su estado actual indicó que se sentía bien y concilia el sueño de forma adecuada. Como antecedentes personales patológicos presentó una lumbalgia ciática en el 2017 con su respectiva atención en el INS, negó: Antecedentes quirúrgicos y traumáticos, antecedentes psiquiátricos, antecedentes penitenciarios.

Acerca de su examen físico se realizó en presencia del Tutor del caso en donde fue posible distinguir que la persona utilizaba vestimenta particular en condición limpia y con un estado general bueno, hidratado, con sudoración tenue. Ingresó al consultorio por sus propios medios mediante deambulación

Marcadores Cardíacos

IF 1001-Troponina Cardiaca I (cTnI)

IF 1002 CK-MB

IF 1003 CK-MB/cTnI/Mioglobina

IF 1004-CK-MB/cTnI/H-FABP

IF 1005-CK-MB/cTnI

IF 1006-hs-cTnI-Alta sensibilidad

IF 1007-NT-proBNP (péptido natriurético B)

IF 1008-H-FABP

IF 1009-TnT

Marcadores Inflamación

IF 1101-IL-6 Fast

IF 1102-PCT/CRP

IF 1103-hs-CRP+CRP

IF 1104-PCT

Hemostasia

IF 1201-D-Dimer

Función renal

IF1301-CysC

Analizador Point of Care Resultados cuantitativos en minutos MARCADORES CARDÍACOS-HEMATOLÓGICOS E INFLAMATORIOS

Inmunocromatografía lateral fluorescente

51 Diagnóstico Clínico Aplicado Año XII · Número 139 · Marzo 2023 (0223) 4783900 • +54 9 22 3540 4766 • ventas@iacinternacional.com.ar • iacinternacional.com.ar

sin apoyo. Fue colaborador en la entrevista, mostró un afecto eutímico, tono de voz adecuado para edad y sexo con uso de lenguaje popular. Conducta auditiva normoyente con adecuada comunicación y coordinación. Orientando en espacio, persona y tiempo. Un pensamiento de contenido real, con curso coherente y productivo, en ausencia de delirio negando la presencia de alucinaciones visuales o auditivas. No se asoció alteraciones en su sensibilidad, su capacidad intelectual estaba conservada, memoria reciente, remota y tardía conservadas. Capacidad de abstracción conservada, juicio conservado, con capacidad para realizar cálculos inadecuados.

Función piramidal, cerebelosa y vestibular sin plejías ni paresias, movimientos musculares y postura adecuada. Coordinación de movimiento sin alteraciones. Signo de Romberg positivo. Fuerza y tono muscular conservado y simétrico en miembros superiores e inferiores, reflejos osteotendinosos normorefléxdicos en las cuatro extremidades.

Su rostro es simétrico con presencia de pápulas rojizas acneiformes y clavillos en nariz, mejillas, comisura labial derecha. Ojos con pupilas midriáticas de 7 mm, normorreactivas a la luz con reflejo fotomotor y consensual positivo, movimientos extraoculares conservados, ausencia de pterigiones, indemnidad corneal, campimetría dentro de los rangos normales. Fondo de ojo normal, en ausencia de papiledema. Mímicas faciales y movilidad de lengua simétrica y conservada. Oídos con pabellones auriculares bien conformados e implantados, conductos auditivos externos permeables, membranas timpánicas semitransparentes sin rupturas, conducta normoyente, sostiene conversación a volumen usual. Nariz bien conformada sin cicatrices ni desviación de la pirámide nasal, hipertrofia del cornete nasal inferior derecho, tabique con hiperemia de forma difusa, que ante la exploración en narina derecha muestra cavitación en tabique con desecación. Agregado a ello en la exploración de la narina derecha en la región proximal del tabique nasal asocia adherencia de sustancia blanquecina de consistencia levemente granular similar a un polvo de color blanquecino, en ausencia de puntilleo hemorrágico y perforación anexo a la sustancia adherida. La boca tiene apertura conservada, con piezas dentales naturales, conservadas, presencia de mancha sepia en piezas dentales en arcada dental superior e inferior, en ausencia de prótesis dental.

El cuello era cilíndrico, simétrico, bien conformado, en ausencia de sitios de punción, limitación de movimiento o quejas de dolor ante la exploración. Tórax simétrico, bien conformado con leve ginecomastia, sin anormalidades de forma ni limitación de movimiento o evidencia de sitios de punción. A la auscultación con ruidos cardíacos rítmicos sin soplos y campos pulmonares bien ventilados sin ruidos agregados. Abdomen

con ausencia de sitios de punción, auscultación con peristalsis dentro de límites normales, palpándose blando, depresible en ausencia de masas, visceromegalias, sacos herniarios y sin aquejar dolor en la exploración. En las extremidades superiores no se registró sitios de punción ni hiperqueratosis en pulpejos, aunque si existía mancha sepia en pulpejo del dedo pulgar en la mano izquierda, sin aquejar alteraciones en la sensibilidad. Para las extremidades inferiores no se registró sitios de punción ni alteraciones en la sensibilidad; además tanto las extremidades superiores como inferiores fueron simétricas, con masa muscular normotónica, fuerza muscular conservada, arcos de movilidad conservados, reflejos osteotendinosos presentes y simétricos, sin alteraciones en la marcha de puntillas o talones.

Ante la Solicitud de la Autoridad Judicial, los hallazgos en la historia clínica y en la exploración física se solicitó una pericia conexa a Toxicología del Departamento de Ciencias Forenses para un análisis de drogas de abuso en Orina de: Cannabis, cocaína, opiáceos; así como en sangre Etanol y congéneres. Ante la solicitud del estudio, Toxicología recogió 2 tubos de sangre periférica de 9 ml y 2 tubos de orina con 12 ml que se analizaron con Extracción en fase Sólida (SPE), Cromatografía de gases con detector de masas (GC/MS) y Inmunocromatografía de flujo lateral. Toxicología a su vez documentó en orina un positivo presuntivo para MDMA, metanfetaminas, confirmatorio para cannabinoides por detectar carboxy-delta-9THC y no se detectó: Anfetaminas, benzodiacepinas, metabolitos de cocaína, morfina, EDDP (metabolito de meta-dona), oxicodona, ketamina, K2 (cannabinoides sintéticos) ni fentanilo. Agregado a ello el personal de toxicología determinó que “La presencia del metabolito carboxy delta-9-THC permite asegurar que hubo exposición a productos de cannabis en el organismo del imputado”

Discusión

Años previos han dado un precepto negativo, atribuido al MDMA. En estudios en animales se resaltó el potencial tóxico en humanos del MDMA, esto porque esta droga puede dañar selectivamente el axón de las neuronas de serotonina (5-HT) en los cerebros de los animales con los que se ha experimentado, en donde incluso en monos la dosis tóxica es muy cercana a la de seres humanos280.

Mediante tomografía por emisión de positrones con un radioligando que marca selectivamente el transportador de serotonina (5-HT) se analizaron los resultados en humanos usuarios de MDMA sin consumo previo en 3 semanas y otros quienes negaron su uso previo; estableciendo que para los usuarios habituales de MDMA se presenció hechos

52 Revista Bioreview®

que llevaron a la conclusión de neurotoxicidad por: 1. Disminución global y regional en la unión del ligando transportador 5-HT, 2.Redución el número de neuronas 5HT en comparación con los controles281.

Otro estudio de tomografía por emisión de positrones demostró que los transportadores de serotonina habían disminuido en los usuarios con ingesta actual de MDMA en el giro cingulado posterior, núcleo caudado izquierdo, tálamo, corteza occipital, lóbulo temporal medial, hipocampo y en el tronco encefálico272. Agregado a lo anterior se registró que las mujeres tienen mayores volúmenes de transportadores de serotonina que los hombres y en cuanto a los cambios del transportador de serotonina para los usuarios con consumo actual de MDMA, fueron los hombres quienes registraron deficiencia en la corteza occipital, lóbulos temporales mediales a comparación de las mujeres que tuvo disminución en todas las áreas excepto en la corteza auditiva272. Aunque en el estudio previo los cambios en el sistema de transporte de serotonina eran reversibles después de la abstención de MDMA272, otros autores contemplan que las consecuencias funcionales de las neuronas 5-HT en la corteza cerebral no son reversibles por el deterioro en la memoria de los consumidores de éxtasis282.

Pese a que algunos estudios sostienen el MDMA como una

neurotoxina por su asociación con el deterioro cognitivo en consumidores habituales y abstinencia de su uso por más de dos años72, también se asoció el deterioro en la memoria con patología neuronal en la corteza prefrontal en consumidores de éxtasis, por un menor rendimiento en pruebas de memoria verbal asociando a estos resultados a mayor pérdida o disfunción neuronal en los consumidores éxtasis por un daño neuronal serotoninérgico y deterioro de la memoria273.Una investigación evaluó la respuesta al éxtasis en periodos agudos y prolongados durante la etapa perinatal, adolescente y de adulto; sugiriendo que los adultos son más sensibles a una disminución del sistema de serotonina a largo plazo en tanto que los usuarios jóvenes la neuroplasticidad cerebral o el reacomodo a sus funciones es rápida y sustancial283.

El MDMA ha vuelto a retomar el ámbito en el área terapéutico que se le dio en los años 70 y 80; mediante investigaciones que evalúan la eficacia del MDMA en conjunto con psicoterapia para tratar enfermedades de difícil abordaje y para facilitar el proceso de reconsolidación de memoria ante un evento traumático que ha hecho que su tratamiento supere los riesgos de su uso284. Sus efectos medicamentosos provocan disminuir la respuesta en la amígdala izquierda ocasionando disminución en la respuesta ante expresiones faciales de enojo274, e incluso mejora

Conocé la agenda de cursos 2023

53
Año XII · Número 139 · Marzo 2023
revisa nuestras ediciones!
Diagnóstico Clínico Aplicado
Y

los resultados y la tasa de abandono al tratamiento285.

El MDMA cambia la respuesta en regiones del cerebro encargadas de la memoria, emociones, atención, aprendizaje284, estos cambios se pueden visualizar en un estudio por neuroimagen en individuos sanos a los que al uso MDMA se visualizó: menor activación en el lóbulo temporal anterior izquierdo, mayor activación de la circunvolución frontal superior y de la corteza dorsal prefrontal medial275, reducción del flujo sanguíneo en la amígdala286,287 y en el hipocampo286; reducir la conectividad entre la corteja medial prefrontal y el hipocampo en estado de reposo286, disminuir la actividad en la corteza insular288 e incremento el flujo sanguíneo en la corteza prefrontal ventromedial287. En la figura 4, se ejemplifican los cambios en el cerebro ante el uso de MDMA que se mencionaron previamente284.

Objetivar el daño psíquico del usuario es un proceso difícil ya que al momento de demostrarlo depende de la experiencia personal del perito y la subjetividad en el

momento de interpretar los datos e incluso establecer un estado anterior patológico podría agravar la complejidad del caso. Aunque en Costa Rica la estimación del daño psíquico se realiza a través de una valoración por un especialista en Psiquiatría, en España al momento de atribuir que una causa medie como efecto entre un daño cerebral o la aparición de psicosis esta debe estar vestida de traumático físico, asociado a aspectos como: a) ocurrencia del traumatismo y lesión cerebral consecutiva; b) síntomas inmediatos, pérdida de conciencia o síndrome confusional; c) que un cuadro esquizofrénico tenga como eje al trauma como elemento dañino, origen de persecución y perjuicio289.

En cuanto a la detección de una sustancia química exógena en el material biológico objetivo de la pericia, la gran cantidad de sustancias disponibles representan una limitación al momento en que el laboratorio elabora una investigación de tóxicos, ya que usualmente estos van dirigidos en favor de las estadísticas en la mayoría de casos290.

Figura 5. Efectos del MDMA en el cerebro contemplados por neuroimagen. Fuente: Imagen Modificada de Figura 1 de Allison A. Fedducia, y Michael C. Mithoefer. MDMA-assisted psycotherapy for PTSD: Are memory reconsolidation and fear ex-tinction underlying mechanisms?. Prog. Neuropsychopharmacol. Biol. Psychiatry PROG NEURO-PSYCHOPH, 8 de Junio 2018 [Citado el 30 de Agosto del 2021]: 84(Parte A): p. 221-228. Disponible en línea desde: https://doi.org/10.1016/j.pnpbp.2018.03.003

54 Revista Bioreview®

Usualmente el toxicólogo divide su análisis en dos métodos: 1. Test Generales y 2. Métodos cuantitativos fiables. Para la Prueba General se busca detectar un gran número de sustancias, de modo que los resultados negativos permitan centrar la atención en unos pocos grupos por lo que la muestra de orina da una gran ventaja en este método, en donde la concentración del tóxico puede llegar incluso a ser 100 veces mayor que en la sangre y dado la ausencia usual de proteínas, hay mínimas interferencias. Para los métodos cuantitativos fiables su presencia usualmente se confirma por dos métodos analíticos independientes, con procesos químicos independientes en base a la necesidad de un proceso cuantitativo exacto característico de la toxicología forense290.

Al interpretar una prueba de toxicología por medicina forense es necesario evaluar cuáles medicamentos pueden inducir un resultado positivo para un compuesto que se relaciona con toxicomanía; por ejemplo la selegilina es un inhibidor de la monoaminooxidasa (IMAO) que se utiliza para el tratamiento de la enfermedad de Parkinson y genera como metabolitos principales l-metanfetamina y l-anfetamina, así como la fenil propanoloamina que se encuentra en descongestionante nasal también presenta L-metanfetamina y l-anfetamina en su degradación, aunque en un cociente menor, por lo que estos fármacos pue -

den generar un falso positivo en un procedimiento por toxicología mediante un método que carezca de estudios de procedimientos quirales que permitan distinguir los diferentes isómeros de metanfetamina y anfetaminas291.

Aunque es posible que un producto que se venda de forma ilegal anunciándose en él un contenido principal de MDMA o con la etiqueta de MDMA puede que este producto tenga muy poca o nula cantidad de esta droga, y aun así en el 2019 la Unión Europea reveló que el contenido de droga promedio para los comprimidos de MDMA incautados en Europa osciló entre 118 y 210 miligramos de MDMA por comprimido, con un aumento de MDMA en los comprimidos de 149% en comparación con el 2009. Incluso la pureza media del MDMA en polvo registrada en el 2019 fue de 88% y en el 2020 del 81%7.

El DSM V clasifica la intoxicación aguda por MDMA en el diagnóstico de “Intoxicación por otros alucinógenos”, estableció como criterios diagnósticos: A- Consumo reciente de un alucinógeno distinto de fenciclidina, B- Comportamiento o cambios psicológicos clínicamente significativos durante o poco después del consumo de la sustancia como ansiedad, depresión notable, ideas de referencia, un juicio alterado por ideas paranoides. C- Cambios en la percepción que suceden estando plenamente despier-

55 Diagnóstico Clínico Aplicado Año XII · Número 139 · Marzo 2023

to y alerta (intensificación subjetiva de las percepciones, despersonalización, pérdida de contacto con la realidad, ilusiones, alucinaciones, sinestesias) que aparecen poco o después del consumo de alucinógenos. D- Dos o más de los siguientes signos que aparecen durante o poco después de consumir el alucinógeno: 1. Dilatación pupilar, 2. Taquicardia, 3. Sudoración, 4. Palpitaciones, 5. Visión borrosa, 6. Temblores, 7. Incoordinación. E- Los signos o síntomas no se pueden atribuir a ninguna otra afección médica y no se explican mejor por otro trastorno mental, incluida una intoxicación por otra sustancia. En donde el tiempo de persistencia de los síntomas se asocia al producto como en el MDMA que puede durar varias horas o más292.

Conclusiones

En la historia médico legal el usuario manifestó un consumo reciente de alcohol, tabaco, marihuana, cocaína, alteración en la capacidad de cálculo y en su exploración física asoció midriasis pupilar, hiperemia del tabique nasal al inspeccionarse desde la narina derecha, en donde se demostró la presencia de una sustancia blanca granular en presentación de polvo adherida al tabique nasal y cavitación en la región distal del tabique. Una exploración bucal reveló mancha sepia en arcada dental superior e inferior, así como mancha sepia en el pulpejo del dedo pulgar de la mano izquierda.

Los hallazgos encontrados tanto en la historia médico legal como en el examen físico son compatibles con el consumo reciente y crónico de sustancias de abuso psicotrópicas fumadas e inhaladas que fueron demostrados mediante un estudio de toxicología con un positivo presuntivo por MDMA, metanfetaminas y un confirmatorio de cannabinoides al detectar carboxy-delta-9THC.

Dado de que el estudio que reveló la presencia de MDMA y metanfetaminas no es confirmatorio, se podrían utilizar técnicas como la resonancia magnética nuclear cuantitativa de hidrógeno (1H-qNMR), que permite disminuir el tiempo de procesamiento por separación, facilitar la identificación de cualquier sustancia de una droga ilegal y cuantificar la sustancia química sin necesidad de utilizar un análisis estándar, en comparación con los métodos cromatográficos que si lo requieren. Incluso este método permite reducir costos al no requerir un material de referencia con certificado, agiliza el análisis forense y puede enfrentarse a una composición de muestras impredecibles293. Valorar las posibilidades de otros métodos de análisis se enfoca en distinguir métodos que permitan una mayor capacidad de respuesta al servicio forense, aunque se esclarece que el servicio de Toxicología si determinó el MDMA y metanfetaminas en una inmunocro-

matografía de flujo lateral que corresponde a un test de screening general y no es una prueba que permita distinguir la sustancia de forma específica.

A pesar de las limitaciones en los análisis de los estudios por toxicología, previo a esa prueba era posible concluir que el usuario mostró signos clínicos que pueden estar relacionados pero no son específicos del consumo agudo y crónico de sustancias de abuso psicotrópicas fumadas e inhaladas.

La sustancia adherida en el tabique nasal y el resultado de toxicología de un positivo presuntivo para MDMA y metanfetaminas, junto con el confirmatorio del metabolito carboxy delta-9-THC, permiten distinguir que el usuario es compatible con una toxicomanía con abuso reciente de Molly y confirmatoria por cannabinoides.

AGRADECIMIENTOS: Al Poder Judicial por promover la investigación en sus funcionarios.

REFERENCIAS BIBLIOGRÁFICAS

1. Vargas Alvarado E. Medicina Legal. Capítulo 35, Farmacodependencia. Sexta Edición. México: Editorial Trillas; 2017 (reimpr.2019). pp.433-462

2. Shulgin AT. The background and chemistry of MDMA. J Psychoactive Drugs 1986 [Citado el 10 de Agosto del 2021]; 18:291-304. Disponible en: https://doi.org/10.1080/02791072.1986.10472361

3. Ridpath A., Driver C.R., Kunins H.V.: Illnesses and deaths among persons attending an electronic dance-music festival - New York City, 2013. MMWR Morb Mortal Wkly Rep 2014 Dec 19[Citado el 10 de Agosto del 2021]; 63: pp. 1195-1198. Disponible en: https://www.ncbi.nlm.nih.gov/pmc/articles/ PMC5779530/

4. J.K. Aronson MA, Dphil, MBChB, FRCP, HonFBPhS, HonFFPM. Meyler’s Side Effects of Drugs. Capítulo Methylendioxy-metamfetamine. Décimo sexta edición. España: Elsevier: 2016 [Citado el 21 de Julio del 2021].; 917-952 p. Disponible en: https://www-clinicalkey-es.binasss.idm.oclc.org/#!/content/book/3-s2.0-B9780444537171010659?scrollTo=%23hl0000022

5. Britt G.C., McCance-Katz E.F.: A brief overview of the clinical pharmacology of “club drugs”. Subst Use Misuse 2005[Citado el 10 de Agosto del 2021]; 40: pp. 1189-1201. Disponible en: https://doi. org/10.1081/JA-200066730

6. Harold Kalant. The pharmacology and toxicology of “ecstasy” (MDMA) and related drugs. CMAJ. 2001 Oct 2; 165(7): 917-928 [Citado el 11 de Agosto del 2021]. Disponible desde: https://www.ncbi. nlm.nih.gov/pmc/articles/PMC81503/

7. Observatorio Europeo de las Drogas y las Toxicomanías. Informe Europeo sobre Drogas Tendencias y novedades. Luxem-burgo. Oficina de Publicaciones de la Unión Europea. 2021 [Citado el 30 de Agosto del 2021]. Disponible en: https://www.emcdda.europa.eu/system/files/publications/13838/2021.2256_ES0906.pdf

56 Revista Bioreview®
57 Diagnóstico
Clínico Aplicado

8. Sumnall H.R., Cole J.C., Jerome L.: The varieties of ecstatic experience: an exploration of the subjective experiences of ecstasy. J Psychopharmacol 2006 [Citado el 10 de Agosto del 2021]; 20: pp. 670-682. Disponible en: https://doi.org/10.1177/0269881106060764

9. Parrott A.C.: Chronic tolerance to recreational MDMA (3,4-methlenedioxymethamphetamine) or ecstasy. J Psychopharmacol 2005[Citado el 12 de Agosto del 2021]; 19: pp. 71-83. Disponible en: https://citeseerx.ist.psu.edu/viewdoc/download?doi=10.1.1.827.8354&rep=rep1&type=pdf

10. McGuire P., Fahy T.: Chronic paranoid psychosis after misuse of MDMA (“ecstasy”). BMJ 1991[Citado el 12 de Agosto del 2021]; 302: pp. 697. Disponible en: https://www.ncbi.nlm.nih.gov/pmc/articles/PMC1669116/pdf/bmj00118-0033a.pdf

11. McCann U.D., Ricaurte G.A.: Major metabolites of (+/−)3,4-methylenedioxyamphetamine (MDA) do not mediate its toxic effects on brain serotonin neurons. Brain Res 1991[Citado el 12 de Agosto del 2021]; 545: pp. 279-282. Disponible en: https://doi.org/10.1016/0006-8993(91)91297-E

12. Climko RP, Roehrich H, Sweeney DR, Al-Razi J. Ecstacy [sic]: a review of MDMA and MDA. Int J Psychiatry Med 1987 [Citado el 16 de Septiembre del 2021];16:359-72. Disponible en: https://doi. org/10.2190/DCRP-U22M-AUMD-D84H

13. Peroutka SJ, Newman H, Harris H. Subjective effects of 3,4-methylenedioxy-methamphetamine in recreational users. Neu-ropsychopharmacology 1988[Citado el 16 de Septiembre del 2021];1:2737. Disponible en: https://citeseerx.ist.psu.edu/viewdoc/download?doi=10.1.1.327.9889&rep=rep1&type=pdf

14. Greer G, Tolbert R. Subjective reports of the effects of MDMA in a clinical setting. J Psychoactive Drugs 1986 [Citado el 16 de Septiembre del 2021];18:319-27. Disponible en: https://doi.org/10.1080/ 02791072.1986.10472364

15. Gawin FH, Ellinwood EH Jr. Cocaine and other stimulants. Actions, abuse, and treatment. N Engl J Med 1988 [Citado el 16 de Septiembre del 2021];318:1173-82. Disponible en: 10.1056/ NEJM198805053181806

16. Liu D, Diorio J, Tannenbaum B, Caldji C et al. Maternal care, hippocampal glucocorticoid receptor expression and hy-pothalamic-pituitary-adrenal responses to stress. Science 1997;277:1659-1662 [Citado el 16 de Septiembre del 2021]. Dis-ponible en: DOI: 10.1126/science.277.5332.1659

17. Liu D, Diorio J, Day JC, Francis DD et al. Maternal care, hippocampal synaptogenesis and cognitive development in rats. Nat Neurosci 2001 [Citado el 16 de Septiembre del 2021];2:799-806. Disponible en: https://www.nature.com/articles/nn0800_799

18. Francis DD, Kuhar MJ. Frequency of maternal licking and grooming correlates negatively with vulnerability to cocaine and alcohol use in rats. Pharmacol Biochem Beh 2008[Citado el 16 de Septiembre del 2021];90:497-500. Disponible en: https://doi.org/10.1016/j.pbb.2008.04.012

19. Alejandra E. Ruiz Contreras, Mónica Méndez Días, Bertha Prieto Gómez, Antonio romano, Seraid Caynas y Oscar Próspero García. El cerebro, las drogas y los genes. Salud Ment vol.33 no.6 México nov./dic. 2010 [Citado el 16 de Agosto del 2021]. Disponible en: http://www.scielo.org.mx/scielo. php?script=sci_arttext&pid=S0185-33252010000600008&lang=es

2021];6:115-116. Disponible en: https://www.nature.com/articles/nn1003

21. Substance Abuse and Mental Health Services Administration, Drug Abuse Warning Network : 2011: National Estimates of Drug-Related Emergency Department Visits. HHS Publication No. (SMA) 13-4760, DAWN Series D-39.2013 [Citado el 16 de Septiembre del 2021]. Disponible en: https://www.samhsa. gov/data/sites/default/files/DAWN2k11ED/DAWN2k11ED/DAWN2k11ED.pdf

22. Schuster P., Lieb R., Lamertz C., Wittchen H.U.: Is the use of ecstasy and hallucinogens increasing? Results from a commu-nity study. Eur Addict Res 1998 [Citado el 16 de Septiembre del 2021]; 4: pp. 75-82. Disponible en: https://doi.org/10.1159/000018925

23. Maxwell J.C.: Party drugs: properties, prevalence, patterns and problems. Subst Use Misuse 2005; 40: pp. 1203-1240 [Ci-tado el 16 de Septiembre del 2021]. Disponible en: https://doi.org/10.1081/ JA-200066736

24. Banta-Green C., Goldbaum G., Kingston S., Golden M., Harruff R., Logan B.K.: Epidemiology of MDMA and associated club drugs in the Seattle area. Subst Use Misuse 2005 [Citado el 17 de Septiembre del 2021]; 40: pp. 1295-1315. Disponible en: https://doi.org/10.1081/JA-200066793

25. Soellner R.: Club drug use in Germany. Subst Use Misuse 2005 [Citado el 17 de Septiembre del 2021]; 40: pp. 1279-1293. Disponible en: https://doi.org/10.1081/JA-200066791

26. Jhon A. Henry. Ectasy and the dance of death. Br. Med. J: 1992 [Citado el 20 de Septiembre del 2021]; 305: pp. 5-6. Disponible en: https://www-bmj-com.binasss.idm.oclc.org/content/ bmj/305/6844/5.full.pdf

27. Henry J.A.: Ecstasy and the dance of death. BMJ 1992 [Citado el 17 de Septiembre del 2021]; 305: pp. 5-6. Disponible en: https://www.ncbi.nlm.nih.gov/pmc/articles/PMC1882471/pdf/bmj000810009.pdf

28. Sherlock K, Wolff K, Hay AW, Conner M. Analysis of illicit ecstasy tablets: implications for clinical management in the accident and emergency department. J Accid Emerg Med 1999 [Citado el 17 de Septiembre del 2021];16:194-7. Disponible en: https://emj.bmj.com/content/emermed/16/3/194. full.pdf

29. Siegel RK. MDMA - nonmedical use and intoxication. J Psychoactive Drugs 1986[Citado el 17 de Septiembre del 2021]; 18:349-54. Disponible en: https://doi.org/10.1080/02791072.1986.10472368

30. Vollenweider FX, Gamma A, Liechti M, Huber T. Psychological and cardiovascular effects and short-term sequelae of MDMA (“ecstasy”) in MDMA-naive healthy volunteers. Neuropsychopharmacology 1998 [Citado el 17 de Septiembre del 2021];19:241-51. Disponible en: https://www.sciencedirect. com/science/article/abs/pii/S0893133X9800013X

31. Wollina U., Kammler H.J., Hesselbarth N., Mock B., Bosseckert H.: Ecstasy pimples-a new facial dermatosis. Dermatology 1998 [Citado el 17 de Septiembre del 2021]; 197: pp. 171-173. Disponible en: https://doi.org/10.1159/000017992

32. Tan B., Foley P.: Guttate psoriasis following ecstasy ingestion. Australas J Dermatol 2004 [Citado el 17 de Septiembre del 2021]; 45: pp. 167-169. Disponible en: https://doi.org/10.1111/j.14400960.2004.00080.x

20. Aron AR, Fletcher PC, Bullmore ET, Sahakian BJ et al. Stop-signal inhibition disrupted by damage to right inferior frontal gyrus in humans. Nat Neurosci 2003[Citado el 16 de Septiembre del

33. Patel M.M., Belson M.G., Longwater A.B., Olson K.R., Miller M.A.: MDMA (ecstasy)-related hyper-

58 Revista Bioreview®

thermia. J Emerg Med 2005 [Citado el 17 de Septiembre del 2021]; 29: pp. 451-454. Disponible en: https://doi.org/10.1016/j.jemermed.2005.05.007

34. Harry R.A., Sherwood R., Wendon J.: Detection of myocardial damage and cardiac dysfunction following ecstasy ingestion. Clin Intensive Care 2001[Citado el 17 de Septiembre del 2021]; 12: pp. 85-87. Disponible en: https://doi.org/10.3109/tcic.12.2.85.87

35. Bassi S., Ritto D.: Ecstasy and chest pain due to coronary artery spasm. Int J Cardiol 2005[Citado el 17 de Septiembre del 2021]; 99: pp. 485-487. Disponible en: https://www.internationaljournalofcardiology.com/article/S0167-5273(04)00188-3/fulltext

36. Madhok A., Boxer R., Chowdhury D.: Atrial fibrillation in an adolescent-the agony of ecstasy. Pediatr Emerg Care 2003 [Citado el 17 de Septiembre del 2021]; 19: pp. 348-349. Disponible en: https:// www.internationaljournalofcardiology.com/article/S0167-5273(04)00188-3/fulltext

37 . Duflou J., Mark A.: Aortic dissection after ingestion of ‘ecstasy’ (MDMA). Am J Forensic Med Pathol 2000 [Citado el 17 de Septiembre del 2021]; 21: pp. 261-263. Disponible en: https://journals.lww.com/ amjforensicmedicine/Abstract/2000/09000/Aortic_Dissection_After_Ingestion_of__Ecstasy_.16.aspx

38. Levine A.J., Drew S., Rees G.M.: “Ecstasy” induced pneumomediastinum. J R Soc Med 1993 [Citado el 17 de Septiembre del 2021]; 86: pp. 232-233. Disponible en: https://www.ncbi.nlm.nih.gov/pmc/ articles/PMC1293960/pdf/jrsocmed00099-0062.pdf

39. Rejali D., Glen P., Odom N.: Pneumomediastinum following Ecstasy (methylenedioxymetamphetamine, MDMA) ingestion in two people at the same ‘rave’. J Laryngol Otol 2002 [Citado el 17 de Septiembre del 2021]; 116: pp. 75-76. Disponible en: https://www.cambridge.org/core/journals/ journal-of-laryngology-and-otology/article/abs/pneumomediastinum-following-ecstasy-methylenedioxymetamphetamine-mdma-ingestion-in-two-people-at-the-same-rave/D4054318E7BAA7E2EE8DA23E24029F3E

40. Ng C.P., Chau L.F., Chung C.H.: Massive spontaneous haemopneumothorax and ecstasy abuse. Hong Kong J Emerg Med 2004[Citado el 17 de Septiembre del 2021]; 11: pp. 94-97. Disponible en: https://doi.org/10.1177/102490790401100206

41. Brazier W.J., Dhariwal D.K., Patton D.W., Bishop K.: Ecstasy related periodontitis and mucosal ulceration-a case report. Br Dent J 2003[Citado el 17 de Septiembre del 2021]; 194: pp. 197-199. Disponible en: https://www.nature.com/articles/4809908.pdf

42. Duxbury A.J.: Ecstasy-dental implications. Br Dent J 1993[Citado el 17 de Septiembre del 2021]; 175: pp. 38. Disponible en: https://doi.org/10.1038/sj.bdj.4808200

43. Brncic N., Kraus I., Viskovic I., Mijandrusic-Sincic B., Vlahovic-Palcevski V.: 3,4-methylenedioymethamphetamine(MDMA): an important cause of acute hepatitis. Med Sci Monit 2006[Citado el 17 de Septiembre del 2021]; 12: pp. CS107-CS109. Disponible en: https://www.medscimonit.com/abstract/ index/idArt/462711/act/3

Disponible en: https://link.springer.com/article/10.1007/s002130050582

46. Barrett P.J., Taylor G.T.: “Ecstasy” ingestion: a case report of severe complications. J R Soc Med 1993[Citado el 17 de Septiembre del 2021]; 86: pp. 233-234. Disponible en: https://www.ncbi.nlm.nih. gov/pmc/articles/PMC1293961/pdf/jrsocmed00099-0063.pdf

47. Finsterer J., Stollberger C., Steger C., Kroiss A.: Long lasting impaired cerebral blood flow after ecstasy intoxication. Psychiatry Clin Neurosci 2003[Citado el 17 de Septiembre del 2021]; 57: pp. 221-225. Disponible en: https://onlinelibrary.wiley.com/doi/epdf/10.1046/j.1440-1819.2003.01104.x

48. Yin Foo Lee G., Wooi Kee Gong G., Vrodos N., Patrick Brophy B.: ‘Ecstasy’-induced subarachnoid haemorrhage: an under-reported neurological complication?. J Clin Neurosci 2003 [Citado el 17 de Septiembre del 2021]; 10: pp. 705-707. Disponible en: https://doi.org/10.1016/S0967-5868(03)00151-6

49. James N George, MD y Adam Cuker MD, MS. Microangiopatía inducidad por drogas. Base de datos Up to Date, publicación con revisión de literatura hasta julio del 2021, con última actualización el 8 agosto del 2021 [Citado el 17 de Agosto del 2021]. Disponible desde: https://www-uptodate-com. binasss.idm.oclc.org/contents/drug-induced-thrombotic-microangiopathy-ditma

50. Pacifici R., Zuccaro P., Farre M., Pichini S., Di Carlo S., Roset P.N., Ortuno J., Segura J., de la Torre R.: Immunomodulating properties of MDMA alone and in combination with alcohol: a pilot study. Life Sci 1999 [Citado el 17 de Septiembre del 2021]; 65: pp. L309-L316. Disponible en: https://doi. org/10.1016/S0024-3205(99)00555-X

51. Zwick O.M., Fischer D.H., Flanagan J.C.: “Ecstasy” induced immunosuppression and herpes zoster ophthalmicus. Br J Ophthalmol 2005 [Citado el 17 de Septiembre del 2021]; 89: pp. 923-924. Disponible en: https://bjo.bmj.com/content/bjophthalmol/89/7/923.full.pdf

52. Verhaert L.L.: Methaemoglobinemia induced by MDMA?. Case Rep Pulmonol 2011[Citado el 17 de Septiembre del 2021]; pp. 1-3. Disponible desde https://downloads.hindawi.com/journals/cripu/2011/494328.pdf

53. Hall A.P.: Hyponatraemia, water intoxication and ‘ecstasy’. Intensive Care Med 1997 [Citado el 17 de Septiembre del 2021]; 23: pp. 1289. Disponible en: https://link.springer.com/content/pdf/10.1007/ s001340050505.pdf

54. Watson I.D., Serlin M., Moncur P., Tames F.: Acute hyponatraemia. Postgrad Med J 1997[Citado el 17 de Septiembre del 2021]; 73: pp. 443-444. Disponible en: https://www.researchgate.net/profile/ Ian-Watson-3/publication/13890060_Acute_hyponatraemia/links/549440630cf2d593b96106eb/Acute-hyponatraemia.pdf

55. Hartung T.K., Schofield E., Short A.I., Parr M.J., Henry J.A.: Hyponatraemic states following 3,4-methylenedioxymethamphetamine (MDMA, “ecstasy”) ingestion. QJM 2002 [Citado el 17 de Septiembre del 2021]; 95: pp. 431-437. Disponible en: https://doi.org/10.1093/qjmed/95.7.431

44. Kwon C., Zaritsky A., Dharnidharka V.R.: Transient proximal tubular renal injury following ecstasy ingestion. Pediatr Nephrol 2003[Citado el 17 de Septiembre del 2021]; 18: pp. 820-822. Disponible en: https://link.springer.com/article/10.1007/s00467-003-1164-7

45. Brody S., Krause C., Veit R., Rau H.: Cardiovascular autonomic dysregulation in users of MDMA (“Ecstasy”). Psychopharmacology Berl 1998 [Citado el 17 de Septiembre del 2021].; 136: pp. 390-393.

56. Parr M.J., Low H.M., Botterill P.: Hyponatraemia and death after “ecstasy” ingestion. Med J Aust 1997 [Citado el 17 de Septiembre del 2021]; 166: pp. 136-137. Disponible en: https://onlinelibrary. wiley.com/doi/abs/10.5694/j.1326-5377.1997.tb140044.x

57. Morán Chorro I., Marruecos Sant L., Delgado Martín M.O.: Hiponatremia, edema cerebral y muerte encefalica en una intoxicación aguda por 3,4 metilendioximetanfetamina. Med Clin (Barc) 2005 [Citado el 17 de Septiembre del 2021]; 124: pp. 198. Disponible en: https://www.elsevier.es/es-revista-me-

59 Diagnóstico Clínico Aplicado Año XII · Número 139 · Marzo 2023

dicina-clinica-2-articulo-hiponatremia-edema-cerebral-muerte-encefalica-13071488

58. Aramendi I., Manzanares W.: Encefalopatia hiponatrémica y muerte cerebral en la intoxicación por éxtasis (3,4-metilendioximetanfetamina). Med Intensiva 2010 [Citado el 17 de Septiembre del 2021]; 34: pp. 634-635. Disponible en: https://scielo.isciii.es/pdf/medinte/v34n9/carta3.pdf

59. Raviña P., Quiroga J.M., Raviña T.: Hyperkalemia in fatal MDMA (‘ecstasy’) toxicity. Int J Cardiol 2004 [Citado el 17 de Septiembre del 2021]; 93: pp. 307-308. Disponible en: https://www.sciencedirect.com/science/article/abs/pii/S0167527303001621

60. Riva N., Morana P., Cerri F., Gerevini S., Amadio S., Formaglio F., Comi G., Comola M., Del Carro U.: Acute myelopathy selectively involving lumbar anterior horns following intranasal insufflations of ecstasy and heroin. J Neurol Neurosurg Psychiatry 2007 [Citado el 17 de Septiembre del 2021]; 78: pp. 908-909. Disponible en: https://www.ncbi.nlm.nih.gov/pmc/articles/PMC2117734/

61. Mintzer S., Hickenbottom S., Gilman S.: Parkinsonism after taking ecstasy. N Engl J Med 1999 [Citado el 17 de Septiembre del 2021]; 340: pp. 1443. Disponible en: https://www.nejm.org/doi/ pdf/10.1056/NEJM199905063401817

62. Schroeder B, Brieden S. Bilateral sixth nerve palsy associated with MDMA (“ecstasy”) abuse. Am J Ophthalmol 2000 [Citado el 17 de Septiembre del 2021];129:408-9. Disponible en: https://pubmed. ncbi.nlm.nih.gov/10704573/

63. Lin MT, Beal MF. Mitochondrial dysfunction and oxidative stress in neurodegenerative diseases. Nature. 2006 [Citado el 17 de Septiembre del 2021];443:787-795. Disponible en: https://www.nature. com/articles/nature05292

64. Newton DF, Naiberg MR, Goldstein BI. Oxidative stress and cognition amongst adults without dementia or stroke: implications for mechanistic and therapeutic research in psychiatric disorders. Psychiatry Res. 2015 [Citado el 17 de Septiembre del 2021];227:127-134. Disponible en: https://www. sciencedirect.com/science/article/abs/pii/S0165178115001821

65. Robert K Hoffman, MD. Intoxicación por MDMA (éxtasis). Base de datos Up to date, Literatura revisada del tema hasta Junio del 2021 y con última actualización el 07 de enero del 2020 [Citado el 16 de Agosto del 2021]. Disponible desde: https://www-uptodate-com.binasss.idm.oclc.org/contents/ mdma-ecstasy-intoxication?search=MDMA&source=search_result&selectedTitle=1~125&usage_type=default&display_rank=1

66. Mueller PD, Korey WS. Death by “ecstasy”: the serotonin syndrome? Ann Emerg Med 1998[Citado el 17 de Septiembre del 2021]; 32:377. Disponible en: https://www.sciencedirect.com/science/article/ abs/pii/S0196064498700186

67. Bodner RA, Lynch T, Lewis L, Kahn D. Serotonin syndrome. Neurology 1995 [Citado el 17 de Septiembre del 2021]; 45:219. Disponible en: https://n.neurology.org/content/45/2/219.short

68. Baylen C.A., Rosenberg H.: A review of the acute subjective effects of MDMA/ecstasy. Addiction 2006 [Citado el 17 de Septiembre del 2021]; 101: pp. 933-947. Disponible en: https://onlinelibrary. wiley.com/doi/abs/10.1111/j.1360-0443.2006.01423.x

69. Vollenweider F.X., Liechti M.E., Gamma A., Greer G., Geyer M.: Acute psychological and neurophysiological effects of MDMA in humans. J Psychoactive Drugs 2002 [Citado el 17 de Septiembre

del 2021]; 34: pp. 171-184. Disponible en: https://www.tandfonline.com/doi/abs/10.1080/02791072. 2002.10399951

70. Cohen RS. Subjective reports on the effects of the MDMA (‘ecstasy’) experience in humans. Prog Neuropsychopharmacol Biol Psychiatry 1995 [Citado el 17 de Septiembre del 2021];19:1137-45. Disponible en: https://www.sciencedirect.com/science/article/abs/pii/0278584695002316?via%3Dihub

71. Vecellio M., Schopper C., Modestin J.: Neuropsychiatric consequences (atypical psychosis and complex-partial seizures) of ecstasy use: possible evidence for toxicity-vulnerability predictors and implications for preventative and clinical care. J Psychopharmacol 2003 [Citado el 17 de Septiembre del 2021]; 17: pp. 342-345. Disponible en: https://journals.sagepub.com/doi/10.1177/02698811030173018

72. Morgan M.J., McFie L., Fleetwood H., Robinson J.A.: Ecstasy (MDMA): are the psychological problems associated with its use reversed by prolonged abstinence?. Psychopharmacology (Berl) 2002 [Citado el 17 de Septiembre del 2021]; 159: pp. 294-303. Disponible en https://link.springer.com/ article/10.1007/s002130100907

73. Greer G., Strassman R.J.: Information on “Ecstasy”. Am J Psychiatry 1985 [Citado el 17 de Septiembre del 2021]; 142: pp. 1391. Disponible en: https://ajp.psychiatryonline.org/doi/pdf/10.1176/ ajp.142.11.1391

74. McCann U.D., Ricaurte G.A.: Lasting neuropsychiatric sequelae of (+−)methylenedioxymethamphetamine (“ecstasy”) in recreational users. J Clin Psychopharmacol 1991 [Citado el 17 de Septiembre del 2021]; 11: pp. 302-305. Disponible en: https://europepmc.org/article/med/1684975

75. Whitaker-Azmitia P.M., Aronson T.A.: “Ecstasy” (MDMA)-induced panic. Am J Psychiatry 1989 [Citado el 17 de Septiembre del 2021]; 146: pp. 119. Disponible en: https://ajp.psychiatryonline.org/doi/ abs/10.1176/ajp.146.1.119b

76. Creighton F.J., Black D.L., Hyde C.E.: “Ecstasy” psychosis and flashbacks. Br J Psychiatry 1991 [Citado el 17 de Septiembre del 2021]; 159: pp. 713-715. Disponible en: https://www.cambridge.org/ core/journals/the-british-journal-of-psychiatry/article/abs/ecstasy-psychosis-and-flashbacks/8F8C0DEDD6BC1739D79A166B81E7E1A3

77. Peroutka S.J., Newman H., Harris H.: Subjective effects of 3,4-methylenedioxymethamphetamine in recreational users. Neuropsychopharmacology 1988 [Citado el 17 de Septiembre del 2021]; 1: pp. 273-277. Disponible en: https://citeseerx.ist.psu.edu/viewdoc/download?doi=10.1.1.327.9889&rep=rep1&type=pdf

78. McCann U.D., Ricaurte G.A.: MDMA (“ecstasy”) and panic disorder: induction by a single dose. Biol Psychiatry 1992 [Citado el 17 de Septiembre del 2021]; 32: pp. 950-953. Disponible en: https://www. biologicalpsychiatryjournal.com/article/0006-3223(92)90185-3/pdf

79. Pallanti S., Mazzi D.: MDMA (Ecstasy) precipitation of panic disorder. Biol Psychiatry 1992 [Citado el 17 de Septiembre del 2021]; 32: pp. 91-95. Disponible en: https://www.sciencedirect.com/science/ article/abs/pii/000632239290145P

80. Quednow B.B., Jessen F., Kuhn K., Maier W., Daum I., Wagner M.: Memory deficits in abstinent MDMA (Ecstasy) users: neuropsychological evidence of frontal dysfunction. J Psychopharmacol 2006 [Citado el 17 de Septiembre del 2021]; 20: pp. 373-384. Disponible en: https://journals.sagepub.com/ doi/10.1177/0269881106061200

60 Revista Bioreview®

81. Gouzoulis-Mayfrank E., Thimm B., Rezk M., Hensen G., Daumann J.: Memory impairment suggests hippocampal dysfunction in abstinent ecstasy users. Prog Neuropsychopharmacol Biol Psychiatry 2003 [Citado el 17 de Septiembre del 2021]; 27: pp. 819-827. Disponible en: https://www.sciencedirect. com/science/article/abs/pii/S0278584603001143

82. Fox H.C., McLean A., Turner J.J., Parrott A.C., Rogers R., Sahakian B.J.: Neuropsychological evidence of a relatively selective profile of temporal dysfunction in drug-free MDMA (“ecstasy”) polydrug users. Psychopharmacology (Berl) 2002 [Citado el 17 de Septiembre del 2021]; 162: pp. 203-214. Disponible en: https://link.springer.com/article/10.1007/s00213-002-1071-9

83. Parrott A.C.: Recreational ecstasy/MDMA, the serotonin syndrome, and serotonergic neurotoxicity. Pharmacol Biochem Behav 2002[Citado el 17 de Septiembre del 2021]; 71: pp. 837-844. Disponible en: http://citeseerx.ist.psu.edu/viewdoc/download?doi=10.1.1.498.9802&rep=rep1&type=pdf

84 . Ben-Abraham R., Szold O., Rudick V., Weinbroum A.A.: ‘Ecstasy’ intoxication: life-threatening manifestations and resuscitative measures in the intensive care setting. Eur J Emerg Med 2003 Dec [Citado el 17 de Septiembre del 2021]; 10: pp. 309-313. Disponible en: https://journals.lww.com/ euro-emergencymed/Abstract/2003/12000/_Ecstasy__intoxication__life_threatening.13.aspx

85 . Gussow L.: Tox rounds: ecstasy: a dangerous ‘party’ drug. Emerg Med News 2010 [Citado el 17 de Septiembre del 2021]; 32: pp. Disponible en: https://journals.lww.com/em-news/Fulltext/2010/08000/Tox_Rounds__Ecstasy__A_Dangerous__Party__Drug.10.aspx

86. A. Thakkar, K. Parekh, K. El Hachem, E. M. Mohanraj, “A Case of MDMA-Associated Cerebral and Pulmonary Edema Requiring ECMO”, Case Reports in Critical Care, vol. 2017 [Citado el 17 de agosto del 2021]. pp 4pp.. Disponible desde: https://doi.org/10.1155/2017/6417012

87. Hall A.P., Henry J.A.: Acute toxic effects of ‘ecstasy’ (MDMA) and related compounds: overview of pathophysiology and clinical management. Br J Anaesth 2006 [Citado el 17 de Septiembre del 2021]; 96: pp. 678-685. Disponible en: https://academic.oup.com/bja/article-pdf/96/6/678/933113/ ael078.pdf

88. Armenian P., Mamantov T.M., Olson K.R., et. al.: Multiple MDMA (ecstasy) overdoses at a rave event: a case series. J Intensive Care Med 2013 Jul-Aug [Citado el 17 de Septiembre del 2021]; 28: pp. 252-258. Disponible en: https://journals.sagepub.com/doi/10.1177/0885066612445982

89. Walubo A., Seger D.: Fatal multi-organ failure after suicidal overdose with MDMA, ‘ecstasy’: case report and review of the literature. Hum Exp Toxicol 1999 Feb [Citado el 17 de Septiembre del 2021]; 18: pp. 119-125. Disponible en: https://journals.sagepub.com/doi/10.1177/096032719901800209

90. Simpson D.L., Rumack B.H.: Methylenedioxyamphetamine: clinical description of overdose, death, and review of pharmacology. Arch Intern Med 1981 Oct [Citado el 17 de Septiembre del 2021]; 141: pp. 1507-1509. Disponible en: https://jamanetwork.com/journals/jamainternalmedicine/article-abstract/601496

patient without other organ dysfunction. Am J Emerg Med 2006 Oct; 24 [Citado el 17 de Septiembre del 2021]: pp. 734-736. Disponible en: https://www.sciencedirect.com/science/article/abs/pii/ S0735675706000362?via%3Dihub [

93. Haaland, Astrid, et al. “Isolated non-cardiogenic pulmonary edema-a rare complication of MDMA toxicity.” The American journal of emergency medicine. 35.9. 1385-e3. 2017 [citado el 30 de Julio del 2021]. Disponible desde https://doi.org/10.1016/j.ajem.2017.06.040

94. Maharaj R., Pingitore A., Bernal W. et. al. : MDMA-induced acute liver failure and transient abdominal pneumatosis. Am J Gastroenterol 2015 [Citado el 17 de Septiembre del 2021]; 110: pp. 963. Disponible desde: https://www.proquest.com/openview/a1007e0b628bb12c2710a6d13c6f08f2/1. pdf?pq-origsite=gscholar&cbl=2041977

95. Goorney B.P., Scholes P.: Transient haemolytic anaemia due to ecstasy in a patient on HAART. Int J STD AIDS 2002 [Citado el 17 de Septiembre del 2021]; 13: pp. 651. Disponible en: https://www. proquest.com/openview/492cd83c248c4403b0279a026635c021/1?pq-origsite=gscholar&cbl=32843

96. Ryan J., Banerjee A., Bong A.: Pneumomediastinum in association with MDMA ingestion. J Emerg Med 2001 [Citado el 17 de Septiembre del 2021]; 20: pp. 305-306. Disponible en: https://www. jem-journal.com/article/S0736-4679(01)00272-4/fulltext

97. Stull B.W.: Spontaneous pneumomediastinum following ecstasy ingestion and sexual intercourse. Emerg Med J 2008 [Citado el 17 de Septiembre del 2021]; 25: pp. 113-114. Disponible en: https://emj. bmj.com/content/25/2/113

98. Ng C.P., Chau L.F., Chung C.H.: Massive spontaneous haemopneumothorax and ecstasy abuse. Hong Kong J Emerg Med 2004 [Citado el 17 de Septiembre del 2021]; 11: pp. 94-97. Disponible en: https://journals.sagepub.com/doi/pdf/10.1177/102490790401100206

99. E. Villanueva Cañadas y A. Pla Martínez. Capítulo 50, Introducción a la Toxicología. Gisbert Calabuig. Medicina Legal y Toxicología. Séptima Edición. España: El Sevier; 2019. pp.773-778.

100. Pacifici R., Zuccaro P., Farre M., Pichini S., Di Carlo S., Roset P.N., Palmi I., Ortuno J., Menoyo E., Segura J., de la Torre R.: Cell-mediated immune response in MDMA users after repeated dose administration: studies in controlled versus noncontrolled settings. Ann NY Acad Sci 2002 [Citado el 17 de Septiembre del 2021]; 965: pp. 421-433. Disponible en: https://www.researchgate.net/profile/Magi-Farre/publication/288670795_8165_2002_Pacifici_cell_mediated_immune_MDMA_ANYAS/ links/568303c808aebccc4e0e1e77/8165-2002-Pacifici-cell-mediated-immune-MDMA-ANYAS.pdf

101. Palamar JJ, Kamboukos D. An examination of sociodemographic correlates of ecstasy use among high school seniors in the United States. Subst Use Misuse 2014 [Citado el 17 de Septiembre del 2021]; 49:1774. Disponible en: https://www.ncbi.nlm.nih.gov/pmc/articles/PMC5064947/

91. Astrid Haaland MD, Elliot Warman MD, Illya Pushkar MPH, Antonios Likourezos MA, MPH. Isolated non-cardiogenic pulmonary edema- A rare complication of MDMA toxicity. Am. J. Emerg. Med: 2017 [Citado el 20 de Septiembre del 2021]: 35: pp.1385-1386. Disponible en: https://www-clinicalkey-es. binasss.idm.oclc.org/#!/content/journal/1-s2.0-S0735675717304916.

92. Chang S.H., Lai T.I., Chen W.J., Fang C.C., et. al.: MDMA-induced acute pulmonary edema in a

102. Boyer EW, Shannon M. The serotonin syndrome. N Engl J Med 2005 [Citado el 17 de Septiembre del 2021]; 352:1112. Disponible en: https://www.researchgate.net/profile/Debasish-Basu/publication/7798830_The_Serotonin_Syndrome/links/564e007008aefe619b0f712f/ The-Serotonin-Syndrome.pdf

103. Birmes P, Coppin D, Schmitt L, Lauque D. Serotonin syndrome: a brief review. CMAJ 2003 [Citado el 17 de Septiembre del 2021]; 168:1439. Disponible en: https://www.cmaj.ca/content/168/11/1439.short

61 Diagnóstico Clínico Aplicado Año XII · Número 139 · Marzo 2023

104. Mason PJ, Morris VA, Balcezak TJ. Serotonin syndrome. Presentation of 2 cases and review of the literature. Medicine (Baltimore) 2000 [Citado el 17 de Septiembre del 2021]; 79:201. Disponible en: https://journals.lww.com/md-journal/Citation/2000/07000/Serotonin_Syndrome_Presentation_ of_2_Cases_and.1.aspx

105. Bodner RA, Lynch T, Lewis L, Kahn D. Serotonin syndrome. Neurology 1995 [Citado el 17 de Septiembre del 2021]; 45:219. Disponible en: https://n.neurology.org/content/45/2/219.short

106. Mills KC. Serotonin syndrome. A clinical update. Crit Care Clin 1997 [Citado el 17 de Septiembre del 2021]; 13:763. Disponible en: https://www.sciencedirect.com/science/article/abs/pii/ S0749070405703687

107. Edward W Boyer, MD, PhD. Síndrome serotoninérgico (Toxicidad serotoninérgica). Base de datos Up to Date, con revisión de literatura hasta julio del 2021 y última actualización el 05 de Abril del 2021 [Citado el 17 de Agosto del 2021]. Disponible en: https://www-uptodate-com.binasss.idm.oclc. org/contents/serotonin-syndrome-serotonin-toxicity?search=MDMA&source=search_result&selectedTitle=6~125&usage_type=default&display_rank=6

108. Al-Nouri ZL, Reese JA, Terrell DR, et al. Drug-induced thrombotic microangiopathy: a systematic review of published reports. Blood 2015 [Citado el 17 de Septiembre del 2021]; 125:616. Disponible en: https://ashpublications.org/blood/article/125/4/616/33855/Drug-induced-thrombotic-microangiopathy-a

109. Reese JA, Bougie DW, Curtis BR, et al. Drug-induced thrombotic microangiopathy: Experience of the Oklahoma Registry and the BloodCenter of Wisconsin. Am J Hematol 2015 [Citado el 17 de Septiembre del 2021]; 90:406. Disponible en: https://www.ncbi.nlm.nih.gov/pmc/articles/PMC4409501/

110. James N George, MD y Adam Cuker MD, MS. Microangiopatía inducidad por drogas. Base de datos Up to Date, publicación con revisión de literatura hasta julio del 2021, con última actualización el 8 agosto del 2021 [Citado el 17 de Agosto del 2021]. Disponible en: https://www-uptodate-com.binasss. idm.oclc.org/contents/drug-induced-thrombotic-microangiopathy-ditma

111. William H Gaasch, MD. Valvular heart disease induced by drugs. Up to Date, base de datos, con revisión literaria hasta julio del 2021 y última actualización el 23 de enero del 2020 [Citado el 16 de Agosto del 2021]. Disponible en: https://www-uptodate-com.binasss.idm.oclc.org/contents/valvular-heart-disease-induced-by-drugs?search=MDMA&source=search_result&selectedTitle=3~125&usage_type=default&display_rank=3

112. Pellikka PA, Tajik AJ, Khandheria BK, et al. Carcinoid heart disease. Clinical and echocardiographic spectrum in 74 patients. Circulation 1993 [Citado el 17 de Septiembre del 2021]; 87:1188. Disponible en: https://www.ahajournals.org/doi/pdf/10.1161/01.CIR.87.4.1188

113. Robiolio PA, Rigolin VH, Wilson JS, et al. Carcinoid heart disease. Correlation of high serotonin levels with valvular abnormalities detected by cardiac catheterization and echocardiography. Circulation 1995 [Citado el 17 de Septiembre del 2021]; 92:790. Disponible en: https://www.ahajournals. org/doi/full/10.1161/01.cir.92.4.790

114. Setola V, Hufeisen SJ, Grande-Allen KJ, et al. 3,4-methylenedioxymethamphetamine (MDMA, “Ecstasy”) induces fenfluramine-like proliferative actions on human cardiac valvular interstitial cells in vitro. Mol Pharmacol 2003 [Citado el 17 de Septiembre del 2021]; 63:1223. Disponible en: https:// molpharm.aspetjournals.org/content/63/6/1223.short

115. Rohrig TP, Prouty RW. Tissue distribution of methylenedioxymethamphetamine. J Anal Toxicol 1992[Citado el 17 de Septiembre del 2021];16:52-3. Disponible en: https://academic.oup.com/jat/article-abstract/16/1/52/775954?redirectedFrom=fulltext

116. Moore KA, Mozayani A, Fierro MF, Poklis A. Distribution of 3,4-methylenedioxymethamphetamine (MDMA) and 3,4-methylenedioxyamphetamine (MDA) stereoisomers in a fatal poisoning. Forensic Sci Int 1996 [Citado el 17 de Septiembre del 2021];83:111-19. Disponible en: https://www.sciencedirect. com/science/article/abs/pii/S0379073896020257

117. Kalant H.: The pharmacology and toxicology of “ecstacy” (MDMA) and related drugs. CMAJ 2001 Oct 2 [Citado el 17 de Septiembre del 2021]; 165: pp. 917-928. Disponible en https://www.cmaj.ca/ content/cmaj/165/7/917.full.pdf

118. Theune M, Esser W, Druschky KF, Interschick E, Patscheke H. Grand-mal-Serie nach Ecstasy-Einnahme. Nervenarzt 1999 [Citado el 17 de Septiembre del 2021];70:1094-7. Disponible en: https://link. springer.com/article/10.1007%2Fs001150050544

119. Spoelder AS, Louwerens JKG, Krens SD, et al. Unexpected Serotonin Syndrome, Epileptic Seizures, and Cerebral Edema Following 2,5-dimethoxy-4-bromophenethylamine Ingestion. J Forensic Sci 2019 [Citado el 17 de Septiembre del 2021]; 64: pp.1950-1952. Disponible en: https://onlinelibrary. wiley.com/doi/epdf/10.1111/1556-4029.14214

120. Thornton SL, Hoehn S, Gerona RR. Seizures, Systemic Inflammatory Response, and Rhabdomyolysis Associated With Laboratory-Confirmed 2C-I and 25-I Exposure. Pediatr Emerg Care 2018 [Citado el 17 de Septiembre del 2021]; 34: pp 1-3. Disponible en: https://www.researchgate.net/profile/ Stephen-Thornton-4/publication/315789509_Seizures_Systemic_Inflammatory_Response_and_Rhabdomyolysis_Associated_With_Laboratory-Confirmed_2C-I_and_25-I_Exposure/links/59cf1b81a6fdcc181abb6ce7/Seizures-Systemic-Inflammatory-Response-and-Rhabdomyolysis-Associated-With-Laboratory-Confirmed-2C-I-and-25-I-Exposure.pdf

121. Palamar JJ, Salomone A, Vincenti M, Cleland CM. Detection of “bath salts” and other novel psychoactive substances in hair samples of ecstasy/MDMA/”Molly” users. Drug Alcohol Depend 2016 [Citado el 17 de Septiembre del 2021]; 161:200. Disponible en: https://www.ncbi.nlm.nih.gov/pmc/ articles/PMC4792679/

122. Byard R.W., Gilbert J., James R., Lokan R.J.: Amphetamine derivative fatalities in South Australia-is “Ecstasy” the culprit?. Am J Forensic Med Pathol 1998 [Citado el 17 de Septiembre del 2021]; 19: pp. 261-265. Disponible en: https://journals.lww.com/amjforensicmedicine/Abstract/1998/09000/ Amphetamine_Derivative_Fatalities_in_South.13.aspx

123. Carter N, Rutty GN, Milroy CM, Forrest AR. Deaths associated with MBDB use.Int J Legal Med 2000 [Citado el 17 de Septiembre del 2021];113:168-70. Disponible en: https://www.researchgate.net/ profile/Christopher-Milroy/publication/12441965_Deaths_associated_with_MBDB_misuse/links/00b7d5297f9c61cf76000000/Deaths-associated-with-MBDB-misuse.pdf

124. Milroy CM, Clark JC, Forrest ARW. Pathology of deaths associated with “ecstasy” and “eve” misuse. J Clin Pathol 1996 [Citado el 17 de Septiembre del 2021];49:149-53. Disponible en: https://jcp. bmj.com/content/jclinpath/49/2/149.full.pdf

125. Sondermann N, Kovar KA. Screening experiments of ecstasy street samples using near infrared spectroscopy. Forensic Sci Int 1999 [Citado el 17 de Septiembre del 2021];106:147-56. Disponible en:

62 Revista Bioreview®

https://www.sciencedirect.com/science/article/abs/pii/S0379073899001954

126. Christopherson AS. Amphetamine designer drugs - an overview and epidemiology. Toxicol Lett 2000 [Citado el 17 de Septiembre del 2021];112-3:127-31. Disponible en: https://www.sciencedirect. com/science/article/abs/pii/S0378427499002052

127. Parrott AC, Lasky J. Ecstasy (MDMA) effects upon mood and cognition before, during, and after a Saturday night dance. Psychopharmacology 1998 [Citado el 17 de Septiembre del 2021]; 139:2618. Disponible en:https://www.erowid.org/chemicals/mdma/references/journal/1998_parrott_psychopharmacology_1/1998_parrott_psychopharmacology_1_text.pdf

128. Dar KJ, McBrien ME. MDMA induced hyperthermia: report of a fatality and review of current therapy. Intensive Care Med 1996 [Citado el 17 de Septiembre del 2021];22:995-6. Disponible en: https:// link.springer.com/article/10.1007/BF02044131

129. Walubo A, Seger D. Fatal multi-organ failure after suicidal overdose with MDMA, ‘ecstasy’: case report and review of the literature Hum Exp Toxicol 1999 [Citado el 17 de Septiembre del 2021];18:11925. Disponible en: https://citeseerx.ist.psu.edu/viewdoc/download?doi=10.1.1.1019.3402&rep=rep1&type=pdf

130. Weinmann W, Bohnert M. Lethal monointoxication by overdosage of MDEA. Forensic Sci Int 1998 [Citado el 17 de Septiembre del 2021];91:91-101. Disponible en: https://www.sciencedirect.com/ science/article/abs/pii/S0379073897001850

131. Harries DP, De Silva R. ‘Ecstasy’ and intracerebral haemorrhage. Scott Med J 1992 [Citado el 17 de Septiembre del 2021]; 37:150-2. Disponible en: https://journals.sagepub.com/doi/10.1177/00 3693309203700508

132. Green A.R., Mechan A.O., Elliott J.M., et. al.: The pharmacology and clinical pharmacology of 3,4-methylenedioxymethamphetamine (MDMA, “ecstasy’”). Pharmacol Rev 2003 [Citado el 17 de Septiembre del 2021]; 55: pp. 463-508. Disponible en: http://citeseerx.ist.psu.edu/viewdoc/download?doi=10.1.1.668.7390&rep=rep1&type=pdf

133. Mas M, Farré M, de la Torre R, Roset PN, Ortuño J, Segura J, et al. Cardiovascular and neuroendocrine effects and pharmacokinetics of 3,4-methylene-dioxymethamphetamine in humans. J Pharmacol Exp Ther 1999 [Citado el 17 de Septiembre del 2021];290:136-45. Disponible en: http://citeseerx.ist.psu.edu/viewdoc/download?doi=10.1.1.325.1476&rep=rep1&type=pdf

134. Verebey K, Alrazi J, Jaffe JH. The complications of ‘ecstasy’ (MDMA). JAMA 1988 [Citado el 17 de Septiembre del 2021];259:1649-50. Disponible en https://jamanetwork.com/journals/jama/ article-abstract/371104

135. Mas M, Farre M, de la Torre R, et al. Cardiovascular and neuroendocrine effects and pharmacokinetics of 3, 4-methylenedioxymethamphetamine in humans. J Pharmacol Exp Ther. 1999 [Citado el 17 de Septiembre del 2021];290:136-145. Disponible en: http://citeseerx.ist.psu.edu/viewdoc/download?doi=10.1.1.325.1476&rep=rep1&type=pdf

136. Wu D, Otton SV, Inaba T, Kalow W, Sellers EM. Interactions of amphetamine analogs with human liver CYP2D6. Biochem Pharmacol 1997 [Citado el 17 de Septiembre del 2021];53:1605-12. Disponible en: https://www.sciencedirect.com/science/article/abs/pii/S0006295297000142 [

137. Tucker GT, Lennard MS, Ellis SW, et al. The demethylenation of methylenedioxymethamphetamine (“ecstasy”) by debrisoquine hydroxylase (CYP2D6). Biochem Pharmacol. 1994 [Citado el 17 de Septiembre del 2021];47:1151-1156. Disponible en: https://www.sciencedirect.com/science/article/ abs/pii/0006295294903867

138. Kreth K, Kovar K, Schwab M, et al. Identification of the human cytochromes P450 involved in the oxidative metabolism of “ecstasy”-related designer drugs. Biochem Pharmacol. 2000 [Citado el 17 de Septiembre del 2021];59:1563-1571. Disponible en: https://www.sciencedirect.com/science/article/ abs/pii/S0006295200002847

139. de la Torre R, Farre M, Ortuno J, et al.Non-linear pharmacokinetics of MDMA (‘ecstasy’) in humans. Br J Clin Pharmacol. 2000 [Citado el 17 de Septiembre del 2021]; 49: 104-109. Disponible en: https://bpspubs.onlinelibrary.wiley.com/doi/pdf/10.1046/j.1365-2125.2000.00121.x

140. Maurer HH, Bickeboeller-Friedrich J, Kraemer T, Peters FT. Toxicokinetics and analytical toxicology of amphetamine-derived designer drugs (‘ecstasy’). Toxicol Lett 2000 [Citado el 17 de Septiembre del 2021]; 112-3:133-42. Disponible en: https://www.sciencedirect.com/science/article/abs/ pii/S0378427499002076

141. de la Torre R, Farre M, Roset PN, et al. Human pharmacology of MDMA: pharmacokinetics, metabolism, and disposition.Ther Drug Monit. 2004 [Citado el 17 de Septiembre del 2021];26:137-144. Disponible en: https://www.jcami.eu/documents/2004_de_la_torre_MDMA_TDM.pdf

142. Colado MI, Williams JL, Green AR. The hyperthermic and neurotoxic effects of ‘Ecstasy’ (MDMA) and 3,4 methylenedioxyamphetamine (MDA) in the Dark Agouti (DA) rat, a model of the CYP2D6 poor metabolizer phenotype. Br J Pharmacol 1995 [Citado el 17 de Septiembre del 2021]; 115:pp. 12811289. Disponible en: https://bpspubs.onlinelibrary.wiley.com/doi/pdfdirect/10.1111/j.1476-5381.1995. tb15037.x

143. Shimada T, Yamazaki H, Mimura M, et al. Interindividual variations in human liver cytochrome P-450 enzymes involved in the oxidation of drugs, carcinogens and toxic chemicals: studies with liver microsomes of 30 Japanese and 30 Caucasians. Pharmacol Exp Ther. 1994 [Citado el 17 de Septiembre del 2021];270: pp. 414-423. Disponible en: https://jpet.aspetjournals.org/content/270/1/414

144. Yeo KR, Rostami-Hodjegan A, Tucker GT. Abundance of cytochrome P450 in human liver: a meta-analysis. Br J Clin Pharmacol. 2003 [Citado el 17 de Septiembre del 2021];57:687-688. Disponible en: http://www.pa2online.org/Vol1Issue4abst225P.html

145. Ingelman-Sundberg M, Evans WE. Unravelling the functional genomics of the human CYP2D6 gene locus. Pharmacogenetics. 2001 [Citado el 17 de Septiembre del 2021];11:553-554. Disponible en:https://journals.lww.com/jpharmacogenetics/Citation/2001/10000/Unravelling_the_functional_genomics_of_the_human.2.aspx

146. O’Mathuna Brian, Farre Magi. The Consequences of 3,4-Methylenedioxymethamphetamine Induced CYP2D6 Inhibition in Humans . Journal of Clinical Psycopharmacology. Número: Volume 28(5), October 2008, pp 523-529 [Citado el 13 de Agosto del 2021]. Disponible desde: https:// ovidsp-dc2-ovid-com.binasss.idm.oclc.org/ovid-a/ovidweb.cgi&S=FIKPFPDDDLEBCBGPJPPJCFBFPEOAAA00&Link+Set=jb.search.101%7c4%7csl_10&Counter5=TOC_article%7c00004714-200810000-00 008%7covft%7covftdb%7covftj

147. Zanger UM, Raimundo S, Eichelbaum M. Cytochrome P450 2D6: overview and update on phar-

63 Diagnóstico Clínico Aplicado Año XII · Número 139 · Marzo 2023

macology, genetics, biochemistry. Naunyn Schmiedebergs Arch Pharmacol. 2004 [Citado el 17 de Septiembre del 2021];369: pp 23-37. Disponible en: https://link.springer.com/article/10.1007%2Fs00210-003-0832-2

serotonin transporters: implications for MDMA-induced neurotoxicity and treatment. Psychopharmacology. 2007[Citado el 17 de Septiembre del 2021]; 189, pp. 489-503. Disponible en: https://link. springer.com/article/10.1007/s00213-005-0174-5

148. Lovlie R, Daly AK, Matre GE, et al. Polymorphisms in CYP2D6 duplication-negative individuals with the ultrarapid metabolizer phenotype: a role for the CYP2D6*35 allele in ultrarapid metabolism? Pharmacogenetics. 2001 [Citado el 17 de Septiembre del 2021];11: pp.45-55. Disponible en:https:// journals.lww.com/jpharmacogenetics/Fulltext/2001/02000/Polymorphisms_in_CYP2D6_duplication_negative.6.aspx

149. Bogni A, Monshouwer M, Moscone A, et al. Substrate specific metabolism by polymorphic cytochrome P450 2D6 alleles. Toxicol In Vitro. 2005 [Citado el 17 de Septiembre del 2021];19:621-629. Disponible en: https://www.sciencedirect.com/science/article/abs/pii/S0887233305000627

150. Farre M, de la Torre R, Mathuna BO, et al. Repeated doses administration of MDMA in humans: pharmacological effects and pharmacokinetics. Psychopharmacology (Berl). 2004 [Citado el 17 de Septiembre del 2021];173:364-375. Disponible en: https://link.springer.com/article/10.1007/s00213004-1789-7

151. Liston HL, DeVane CL, Boulton DW, et al. Differential time course of cytochrome P450 2D6 enzyme inhibition by fluoxetine, sertraline, and paroxetine in healthy volunteers. J Clin Psychopharmacol. 2002 [Citado el 17 de Septiembre del 2021];22: pp. 169-173. Disponible en: https://journals. lww.com/psychopharmacology/Abstract/2002/04000/Differential_Time_Course_of_Cytochrome_ P450_2D6.10.aspx

152. Venkatakrishnan K, Obach RS. In vitro-in vivo extrapolation of CYP2D6 inactivation by paroxetine: prediction of nonstationary pharmacokinetics and drug interaction magnitude. Drug Metab Dispos. 2005 [Citado el 17 de Septiembre del 2021];33:845-852. Disponible en: http://citeseerx.ist.psu. edu/viewdoc/download?doi=10.1.1.1079.6504&rep=rep1&type=pdf

153. Yang J, Jamei M, Heydari A, et al. Implications of mechanism-based inhibition of CYP2D6 for the pharmacokinetics and toxicity of MDMA. J Psychopharmacol. 2006 [Citado el 17 de Septiembre del 2021];20: pp. 842-849. Disponible en: http://public-files.prbb.org/publicacions/3500-842.pdf

154. Mueller M, Peters FT, Maurer HH, et al. Nonlinear pharmacokinetics of (+/-)3,4-methylenedioxymethamphetamine (MDMA, “Ecstasy”) and its major metabolites in squirrel monkeys at plasma concentrations of MDMA that develop after typical psychoactive doses. J Pharmacol Exp Ther. 2008 [Citado el 17 de Septiembre del 2021];327: pp. 38-44. Disponible en: https://citeseerx.ist.psu.edu/ viewdoc/download?doi=10.1.1.996.9526&rep=rep1&type=pdf

155. Rudnick G, Wall SC. The molecular mechanism of “ecstasy” [3,4-methylenedioxy-methamphetamine (MDMA)]: serotonin transporters are targets for MDMA-induced serotonin release. Proc Natl Acad Sci U S A. 1992 [Citado el 17 de Septiembre del 2021]; 89, pp. 1817-1821. Disponible en: https://www. pnas.org/content/pnas/89/5/1817.full.pdf

156. Rothman RB, Baumann MH, Dersch CM, et al.Amphetamine-type central nervous system stimulants release norepinephrine more potently than they release dopamine and serotonin. Synapse. 2001 [Citado el 17 de Septiembre del 2021]; 39: 32-41. Disponible en: http://citeseerx.ist.psu.edu/viewdoc/ download?doi=10.1.1.327.8958&rep=rep1&type=pdf

157. Verrico CD, Miller GM, Madras BK. MDMA (ecstasy) and human dopamine, norepinephrine, and

158. Rochester JA, Kirchner JT. Ecstasy (3,4-methylenedioxymethamphetamine): history, neurochemistry, and toxicology. J Am Board Fam Pract 1999 [Citado el 17 de Septiembre del 2021]; 12:137. Disponible en: https://www.jabfm.org/content/jabfp/12/2/137.full.pdf

159 . Shannon M. Methylenedioxymethamphetamine (MDMA, “Ecstasy”). Pediatr Emerg Care 2000 [Citado el 17 de Septiembre del 2021]; 16:377. Disponible en: https://journals.lww.com/pec-online/ Citation/2000/10000/Methylenedioxymethamphetamine__MDMA,__Ecstasy__.22.aspx

160. Liechti ME, Baumann C, Gamma A, et al.Acute psychological effects of 3,4-methylenedioxymethamphetamine (MDMA, “ecstasy”) are attenuated by the serotonin uptake inhibitor citalopram. Neuropsychopharmacology. 2000 [Citado el 17 de Septiembre del 2021]; 22, pp. 513-521. Disponible en: https://www.nature.com/articles/1395472

161. Simmler LD, Hysek CM, Liechti ME. Sex differences in the effects of MDMA (ecstasy) on plasma copeptin in healthy subjects. J Clin Endocrinol Metab. 2011 [Citado el 17 de Septiembre del 2021]; 96: 2844-2850. Disponible en: https://academic.oup.com/jcem/article/96/9/2844/2834623

162. Hysek CM, Simmler LD, Nicola V, et al.Duloxetine inhibits effects of MDMA (“ecstasy”) in vitro and in humans in a randomized placebo-controlled laboratory study. PLoS One. 2012 [Citado el 17 de Septiembre del 2021]; 7: e36476. Disponible en: https://journals.plos.org/plosone/article?id=10.1371/ journal.pone.0036476

163. Hysek CM, Brugger R, Simmler LD, et al.Effects of the [alpha]2-adrenergic agonist clonidine on the pharmacodynamics and pharmacokinetics of 3,4-methylenedioxymethamphetamine in healthy volunteers. J Pharmacol Exp Ther. 2012 [Citado el 17 de Septiembre del 2021]; 340: 286-294. Disponible en: http://citeseerx.ist.psu.edu/viewdoc/download?doi=10.1.1.982.1382&rep=rep1&type=pdf

164. Hysek CM, Domes G, Liechti ME. MDMA enhances “mind reading” of positive emotions and impairs “mind reading” of negative emotions. Psychopharmacology (Berl). 2012 [Citado el 17 de Septiembre del 2021]; 222: pp. 293-302. Disponible en: https://doc.rero.ch/record/311302/files/213_2012_Article_2645.pdf

165. Schenk, Susan PhD, Newcombe David PhD. Metilendioximetanfetamina (MDMA) en Psiquiatría: Pros, contras y sugerencias. J Clin Pharmacol. 2018, Diciembre volumen 38 (6). p 632-638 [Citado el 17 de Agosto del 2021]. Disponible en: https://ovidsp-dc2-ovid-com.binasss.idm.oclc.org/ovid-a/ ovidweb.cgi?&S=JMPOFPLDDGEBEOIHJPOJJGHGBMDLAA00&Link+Set=S.sh.22%7c1%7csl_10&Counter5=SS_view_found_article%7c00004714-201812000-00018%7cyrovft%7covftdb%7cyrovftt&Counter5 Data=00004714-201812000-00018%7cyrovft%7covftdb%7cyrovftt

166. Battaglia G, Brooks BP, Kulsakdinun C, et al. Pharmacologic profile of MDMA (3,4-methylenedioxymethamphetamine) at various brain recognition sites. Eur J Pharmacol. 1988 [Citado el 17 de Septiembre del 2021];149, pp. 159-163. Disponible en: https://www.sciencedirect.com/science/article/abs/pii/0014299988900568

167. Green AR, Cross AJ, Goodwin GM. Review of the pharmacology and clinical pharmacology of 3,4-methylenedioxymethamphetamine (MDMA or “Ecstasy”). Psychopharmacology (Berl). 1995 [Citado el 17 de Septiembre del 2021];119:247-260. Disponible en: https://www.thevespiary.org/rhodium/

64 Revista Bioreview®

Rhodium/Vespiary/talk/files/6441-The-Pharmacology-and-Clinical-Pharmacology-of-34-Methylenedioxymethamphetamine-MDMA-%E2%80%9CEcstasy%E2%80%9De3f8.pdf

168. White SR, Obradovic T, Imel KM, et al. The effects of methylenedioxymethamphetamine (MDMA, “Ecstasy”) on monoaminergic neurotransmission in the central nervous system. Prog Neurobiol. 1996 [Citado el 17 de Septiembre del 2021];49, pp. 455-479. Disponible en: https://citeseerx.ist.psu.edu/ viewdoc/download?doi=10.1.1.828.9759&rep=rep1&type=pdf

169. Hysek CM, Simmler LD, Ineichen M, et al.The norepinephrine transporter inhibitor reboxetine reduces stimulant effects of MDMA (“ecstasy”) in humans. Clin Pharmacol Ther. 2011 [Citado el 17 de Septiembre del 2021]; 90, pp. 246-255. Disponible en: https://edoc.unibas.ch/28414/1/PhD_Thesis_Linda_Simmler.pdf#page=79

170. Callaway C.W., Johnson M.P., Gold L.H., et. al.: Amphetamine derivatives induce locomotor hyperactivity by acting as indirect serotonin agonists. Psychopharmacology (Berl) 1991 [Citado el 17 de Septiembre del 2021]; 104: pp. 293-301. Disponible en: https://link.springer.com/article/10.1007/ BF02246026

171. Sarkar S., Schmued L.: Neurotoxicity of ecstasy (MDMA): an overview. Curr Pharm Biotechnol 2010 Aug [Citado el 17 de Septiembre del 2021]; 11: pp. 460-469. Disponible en: https://www.ingentaconnect.com/content/ben/cpb/2010/00000011/00000005/art00007

172. Carhart-Harris, R. L. et al. The effects of acutely administered 3,4-methylenedioxymethamphetamine on spontaneous brain function in healthy volunteers measured with arterial spin labeling and blood oxygen level-dependent resting state func-tional connectivity. Biol. Psychiatry 2015 [Citado el 17 de Septiembre del 2021]: 78, pp. 554-562. Disponible en: https://www.sciencedirect.com/science/ article/pii/S0006322314000055

173. Kamilar-Britt, P. & Bedi, G. The prosocial effects of 3,4-methylenedioxymethamphetamine (MDMA): controlled studies in humans and laboratory animals. Neurosci. Biobehav. Rev: 2015 [Citado el 17 de Septiembre del 2021]: 57, pp. 433-446. Disponible en: https://www.ncbi.nlm.nih.gov/pmc/ articles/PMC4678620/

174. Walpola, I. C. et al. Altered insula connectivity under MDMA.Neuropsychopharmacology 2017[Citado el 17 de Septiem-bre del 2021]: 42, pp. 2152-2162. Disponible en: https://www.nature.com/ articles/npp201735

175. Bedi, G., Phan, K. L., Angstadt, M. & de Wit, H. Effects of MDMA on sociability and neural response to social threat and social reward. Psychopharmacology: 2009 [Citado el 17 de Septiembre del 2021]: 207, 73-83. Disponible en: https://www.ncbi.nlm.nih.gov/pmc/articles/PMC3328967/

176. Sofuoglu M, Poling J, Hill K, et al.Atomoxetine attenuates dextroamphetamine effects in humans. Am J Drug Alcohol Abuse. 2009 [Citado el 17 de Septiembre del 2021]; 35, pp. 412-416. Disponible en: https://www.ncbi.nlm.nih.gov/pmc/articles/PMC2796580/

177. Newton TF. A perhaps unexpected role of norepinephrine in actions of MDMA. Clin Pharmacol Ther. 2011 [Citado el 17 de Septiembre del 2021]; 90: pp. 215-216. Disponible en: https://ascpt.onlinelibrary.wiley.com/doi/abs/10.1038/clpt.2011.125

178. Newton TF, De La Garza R 2nd, Brown G, et al.Noradrenergic a1 receptor antagonist treatment attenuates positive subjec-tive effects of cocaine in humans: a randomized trial. PLoS One. 2012

[Citado el 17 de Septiembre del 2021]; 7: e30854. Disponible en: https://journals.plos.org/plosone/ article?id=10.1371/journal.pone.0030854

179. Selken J, Nichols DE. alpha1-Adrenergic receptors mediate the locomotor response to systemic administration of (+/-)-3,4-methylenedioxymethamphetamine (MDMA) in rats. Pharmacol Biochem Behav. 2007 [Citado el 17 de Septiembre del 2021]; 86, pp. 622-630. Disponible en: https://www.ncbi. nlm.nih.gov/pmc/articles/PMC1976288/

180. Wellman P, Ho D, Cepeda-Benito A, et al.Cocaine-induced hypophagia and hyperlocomotion in rats are attenuated by prazosin. Eur J Pharmacol. 2002 [Citado el 17 de Septiembre del 2021]; 455: 117-126 Disponible en: https://www.sciencedirect.com/science/article/abs/pii/S001429990202616X

181. Drouin C, Darracq L, Trovero F, et al.alpha1b-Adrenergic receptors control locomotor and rewarding effects of psychost-imulants and opiates. J Neurosci. 2002 [Citado el 17 de Septiembre del 2021]; 22, pp. 2873-2884. Disponible en: https://www.jneurosci.org/content/jneuro/22/7/2873.full.pdf

182. Vanderschuren LJ, Beemster P, Schoffelmeer AN. On the role of noradrenaline in psychostimulant-induced psychomotor activity and sensitization. Psychopharmacology. 2003 [Citado el 17 de Septiembre del 2021]; 169, pp. 176-185. Disponible en: https://link.springer.com/article/10.1007/ s00213-003-1509-8

183. Darracq L, Blanc G, Glowinski J, et al.Importance of the noradrenaline-dopamine coupling in the locomotor activating effects of D-amphetamine. J Neurosci. 1998 [Citado el 17 de Septiembre del 2021]; 18, pp. 2729-2739. Disponible en: https://www.jneurosci.org/content/jneuro/18/7/2729. full.pdf

184. Auclair A, Cotecchia S, Glowinski J, et al.D-Amphetamine fails to increase extracellular dopamine levels in mice lacking alpha 1b-adrenergic receptors: relationship between functional and nonfunctional dopamine release. J Neurosci. 2002 [Citado el 17 de Septiembre del 2021]; 22, pp. 9150-9154. Disponible en: https://www.jneurosci.org/content/jneuro/22/21/9150.full.pdf

185. Pan WH, Sung JC, Fuh SM. Locally application of amphetamine into the ventral tegmental area enhances dopamine re-lease in the nucleus accumbens and the medial prefrontal cortex through noradrenergic neurotransmission. J Pharmacol Exp Ther. 1996 [Citado el 17 de Septiembre del 2021]; 278, pp. 725-731. Disponible en: https://jpet.aspetjournals.org/content/278/2/725.short

186. Hysek, Cedric, Fink, Anja, Simmler, Linda, et al. [alpha]1-Adrenergic Receptors Contribute to the Acute Effects of 3,4-Methylenedioxymethamphetamine in Humans. J Clin Psychopharmacol. 2013 [Citado el 17 de Septiembre del 2021];33(5): pp. 658-666. Disponible en: https://journals.lww.com/psychopharmacology/Abstract/2013/10000/_1_Adrenergic_Receptors_Contribute_to_the_Acute.11.aspx

187. Zhang XY, Kosten TA. Prazosin, an a1 adrenergic antagonist, reduces cocaine-induced reinstatement of drug-seeking. Biol Psychiatry. 2005 [Citado el 17 de Septiembre del 2021]; 57, pp. 1202-1204. Disponible en: https://www.sciencedirect.com/science/article/abs/pii/S000632230500168X

188. Haile CN, Mahoney JJ 3rd, Newton TF, et al.Pharmacotherapeutics directed at deficiencies associated with cocaine de-pendence: focus on dopamine, norepinephrine and glutamate. Pharmacol Ther. 2012 [Citado el 17 de Septiembre del 2021]: 134, pp. 260-277. Disponible en: https://www.ncbi. nlm.nih.gov/pmc/articles/PMC3341931/

189. McDaid J, Docherty JR. Vascular actions of MDMA involve alpha1 and alpha2-adrenoceptors in

65 Diagnóstico Clínico Aplicado Año XII · Número 139 · Marzo 2023

the anaesthetized rat. Br J Pharmacol. 2001 [Citado el 17 de Septiembre del 2021]; 133, pp. 429-437. Disponible en: https://www.ncbi.nlm.nih.gov/pmc/articles/PMC1572800/

190. Hong E, Larios F, Gomez-Viquez N, et al.Role of alpha adrenoceptors and nitric oxide on cardiovascular responses in acute and chronic hypertension. J Physiol Biochem. 2011 [Citado el 17 de Septiembre del 2021]; 67, pp. 427-435. Disponible en: https://link.springer.com/article/10.1007%2Fs13105-011-0093-3

191. Hysek CM, Vollenweider FX, Liechti ME. Effects of a [beta]-blocker on the cardiovascular response to MDMA (ecstasy). Emerg Med J. 2010 [Citado el 17 de Septiembre del 2021]; 27: pp. 586-589. Disponible en: https://www.zora.uzh.ch/id/eprint/40820/1/Hysek.pdf

192. Hysek CM, Schmid Y, Rickli A, et al.Carvedilol inhibits the cardiostimulant and thermogenic effects of MDMA in hu-mans. Br J Pharmacol. 2012 [Citado el 17 de Septiembre del 2021]; 166, pp. 2777-2288. Disponible en: https://www.ncbi.nlm.nih.gov/pmc/articles/PMC3448893/

193. Lester S.J., Baggott M., Welm S., Schiller N.B., Jones R.T., Foster E., Mendelson J.: Cardiovascular effects of 3,4-methylenedioxymethamphetamine. A double-blind, placebo-controlled trial. Ann Intern Med 2000 [Citado el 17 de Septiem-bre del 2021]; 133, pp. 969-973. Disponible en: https://www. acpjournals.org/doi/abs/10.7326/0003-4819-133-12-200012190-00012

194. Schechter MD. MDMA as a discriminative stimulus: isomeric comparisons. Pharmacol Biochem Behav 1987 [Citado el 17 de Septiembre del 2021]; 27, pp. 41-44. Disponible en: https://www.sciencedirect.com/science/article/abs/pii/0091305787904746

195. Glennon RA, Young R, Dukat M, Cheng Y. Initial characterization of PMMA as a discriminative stimulus. Pharmacol Biochem Behav 1997 [Citado el 17 de Septiembre del 2021];57, pp. 151-158. Disponible en: https://www.sciencedirect.com/science/article/abs/pii/S0091305796003061

196. Johnson M, Letter AA, Merchant K, Hanson GR, Gibb JW. Effects of 3,4-methylenedioxyamphetamine and 3,4-methylenedioxymethamphetamine isomers on central serotonergic, dopaminergic and nigral neurotensin systems of the rat. J Pharmacol Exp Ther 1988 [Citado el 17 de Septiembre del 2021];244, pp. 977-982. Disponible en: https://www.researchgate.net/profile/Kalpana-Merchant-2/publication/20682620_Effects_of_34-methylenedioxyamphetamine_and_34-methylenedioxymethamphetami-ne_isomers_on_central_serotonergic_dopaminergic_and_nigral_neurotensin_systems_of_the_rat/links/545221ba0cf24884d8874bb5/ Effects-of-3-4-methylenedioxyamphetamine-and-3-4-methylenedioxymethamphetamine-isomers-on-central-serotonergic-dopaminergic-and-nigral-neurotensin-systems-of-therat.pdf

197. Fitzgerald RL, Blanke RV, Rosecrans JA, Glennon RA. Stereochemistry of the metabolism of MDMA to MDA. Life Sci 1989 [Citado el 17 de Septiembre del 2021];45, pp. 295-301. Disponible en: https:// www.sciencedirect.com/science/article/abs/pii/0024320589901380

198. Eede H.V., et. al.: Rhabdomyolysis in MDMA intoxication: a rapid and underestimated killer. “Clean” ecstasy, a safe party drug?. J Emerg Med 2012 [Citado el 17 de Septiembre del 2021]; 42: pp. 655-658. Disponible en: https://www.sciencedirect.com/science/article/abs/pii/S0736467909003266

199. Solowij N., Hall W., Lee N.: Recreational MDMA use in Sydney: a profile of “ecstacy” users and their experiences with the drug. Br J Addict 1992 [Citado el 17 de Septiembre del 2021]: 87, pp. 11611172. Disponible en: https://onlinelibrary.wiley.com/doi/abs/10.1111/j.1360-0443.1992.tb02003.x

200. Greene S.L., Dargan P.I., Kerins M., et. al.: Multiple toxicity from 3,4-methylenedioxymethamphetamine (“ecstasy”). Am J Emerg Med 2003 [Citado el 17 de Septiembre del 2021]; 21, pp. 121-124. Disponible en: https://www.sciencedirect.com/science/article/abs/pii/S0735675702422292

201. Regenthal R., Krüger M., Preiss R., et. al.: Survival after massive “ecstasy” (MDMA) ingestion. Intensive Care Med 1999 [Citado el 17 de Septiembre del 2021]: 25, pp. 640-641. Disponible en:https://d1wqtxts1xzle7.cloudfront.net/44250774/Survival_after_massive_ecstasy_MDMA_in20160331-24647-1kkksde-with-cover-page-v2pdf?Expires=1632114316&Signature=A6FLcopkwd5OqQtLJL7QggpA1TAEIyNxBrWoBchwlUd5YLe859iUdpWKN1CyY62n6L3tGqdP7F~kzkHt~HeYqLTp~DzWCn7zY9xkobpFqopXH-M0ruQ2aDyNThmyMWc7QScptwrwt-aP6nihxOsIVzl794e080PHNNs1N8O9CXp25ItBJLtq-WG5oB7-lhgioYDG-3T~v5I72AFuAuu-AvBv0c~3~L4bt8yjyyqVh0~wCYXU0J0ciU8VsHCw-6TRWJMw4HBfx63PW8fQ8fywx9Tis45sBqOqcKiC9RxkG7ETWHCkqMlmYGLkC~s3uIG2sCx9Wejm4~zH5Vh0dpiW0Q__&Key-Pair-Id=APKAJLOHF5GGSLRBV4ZA

202. Libiseller K., Pavlic M., Grubwieser P., Rabl W.: An announced suicide with ecstasy. Int J Legal Med 2007 [Citado el 17 de Septiembre del 2021]; 121: pp. 40-43. Disponible en: https://link.springer. com/article/10.1007/s00414-005-0039-9

203. A. Luna Maldonado y E. Osuna Carrilo de Albornoz. Capítulo 74, Drogas de Abuso. Gisbert Calabuig. Medicina Legal y Toxicología. Séptima Edición. España: El Sevier ; 2019. pp. 1093-1122.

204. Hernandez-Lopez C., Farre M., Roset P.N., Menoyo E., Pizarro N., Ortuno J., Torrens M., Cami J., de la Torre R. : 3,4-Methylenedioxymethamphetamine (ecstasy) and alcohol interactions in humans: psychomotor performance, subjective ef-fects, and pharmacokinetics. J Pharmacol Exp Ther 2002 [Citado el 17 de Septiembre del 2021]; 300, pp. 236-244. Disponible en: https://jpet.aspetjournals. org/content/300/1/236.short

205. Silins E., Copeland J., Dillon P.: Qualitative review of serotonin syndrome, ecstasy (MDMA) and the use of other sero-tonergic substances: hierarchy of risk. Aust N Z J Psychiatry 2007 [Citado el 17 de Septiembre del 2021]; 41: pp. 649-655. Disponible en: https://journals.sagepub.com/doi/ abs/10.1080/00048670701449237

206. Vuori E., Henry J.A., Ojanpera I., Nieminen R., Savolainen T., Wahlsten P., Jantti M.: Death following ingestion of MDMA (ecstasy) and moclobemide. Addiction 2003 [Citado el 17 de Septiembre del 2021]; 98: pp. 365-368. Disponible en: https://onlinelibrary.wiley.com/doi/abs/10.1046/j.13600443.2003.00292.x

207. Hsu A., Granneman G.R., Bertz R.J.: Ritonavir. Clinical pharmacokinetics and interactions with other anti-HIV agents. Clin Pharmacokinet 1998 [Citado el 17 de Septiembre del 2021]; 35: pp. 275-291. Disponible en: https://link.springer.com/article/10.2165/00003088-199835040-00002

208. McCann UD, Ridenour A, Shaham Y, Ricaurte GA. Serotonin neurotoxicity after (+/-)3,4-methylenedioxymethamphetamine (MDMA; “ecstasy”): a controlled study in humans. Neuropsychopharmacology 1994 [Citado el 17 de Septiembre del 2021];10:129-38. Disponible en: https://www.nature.com/ articles/npp199415.pdf?origin=ppub

209. McCann UD, Szabo Z, Scheffel U, Dannals RF, Ricaurte GA. Positron emission tomographic evidence of toxic effect of MDMA (“ecstasy”) on brain serotonin neurons in human beings. Lancet 1998 [Citado el 17 de Septiembre del 2021]; 352: pp. 1433-1437. Disponible en: https://citeseerx.ist.psu. edu/viewdoc/download?doi=10.1.1.318.9136&rep=rep1&type=pdf

66 Revista Bioreview®

210. Ricaurte GA, McCann UD, Szabo Z, Scheffel U. Toxicodynamics and long-term toxicity of the recreational drug, 3,4-methylenedioxymethamphetamine (MDMA, ‘ecstasy’). Toxicol Lett 2000 [Citado el 17 de Septiembre del 2021];112-3:143-6. Disponible en: https://www.sciencedirect.com/science/ article/abs/pii/S0378427499002167

211. Semple DM, Ebmeier KP, Glabus MF, O’Carroll RE, Johnstone EC. Reduced in vivo binding to the serotonin transporter in the cerebral cortex of MDMA (‘ecstasy’) users. Br J Psychiatry 1999 [Citado el 17 de Septiembre del 2021];175: pp. 63-9. Disponible en: https://www.cambridge.org/core/journals/the-british-journal-of-psychiatry/article/abs/reduced-in-vivo-binding-to-the-serotonin-transporter-in-the-cerebral-cortex-of-mdma-ecstasy-users/4907F99BE8E144F183131BD651C40D05

212. Chang L, Ernst T, Grob CS, Poland RE. Cerebral (1)H MRS alterations in recreational 3,4-methylenedioxymethamphetamine (MDMA, ‘ecstasy’) users. J Magn Reson Imaging 1999 [Citado el 17 de Septiembre del 2021];10:521-6. Disponible en: https://onlinelibrary.wiley.com/doi/epdf/10.1002/%28SICI%291522-2586%28199910%2910%3A4%3C521%3A%3AAID-JMRI4%3E3.0.CO%3B2-9

213. Chang L, Grob CS, Ernst T, Itti L, Mishkin FS, Jose-Melchor R, et al. Effect of ecstasy [3,4-methylenedioxymethamphetamine (MDMA)] on cerebral blood flow: a co-registered SPECT and MRI study. Psychiatry Res 2000 [Citado el 17 de Septiembre del 2021];98: pp. 15-28. Disponible en: https://www. sciencedirect.com/science/article/abs/pii/S0925492799000487

214. Obrocki J, Buchert R, Vaterlein O, Thomasius R, Beyer W, Schiemann T. Ecstasy - long-term effects on the human cen-tral nervous system revealed by positron emission tomography. Br J Psychiatry 1999 [Citado el 17 de Septiembre del 2021];175: pp.186-188. Disponible en: https:// www.cambridge.org/core/journals/the-british-journal-of-psychiatry/article/abs/ecstasy-longterm-effects-on-the-human-central-nervous-system-revealed-by-positron-emission-tomography/ 3D03EA4E0D38DC851914FA601C2D0830

215. Dafters RI, Duffy F, O’Donnell PJ, Bouquet C. Level of use of 3,4-methylenedioxymethamphetamine (MDMA or ecstasy) in humans correlates with EEG power and coherence. Psychopharmacology 1999 [Citado el 17 de Septiembre del 2021];145: pp.82-90. Disponible en: https://www.erowid. org/chemicals/mdma/references/journal/1999_dafters_psychopharmacology_1/1999_dafters_psychopharmacology_1_text.pdf

216. Tuchtenhagen F, Daumann J, Norra C, Gobbele R, Becker S, Pelz S, et al. High intensity dependence of auditory evoked dipole source activity indicates decreased serotonergic activity in abstinent ecstasy (MDMA) users. Neuropsychopharmacolo-gy 2000 [Citado el 17 de Septiembre del 2021];22: pp. 608-17. Disponible en: https://www.nature.com/articles/1395464.pdf?origin=ppub

217. Campkin N.T., Davies U.M.: Another death from Ecstacy. J R Soc Med 1992 [Citado el 17 de Septiembre del 2021]; 85: pp. 61. Disponible en: https://www.ncbi.nlm.nih.gov/pmc/articles/ PMC1293478/pdf/jrsocmed00115-0077b.pdf

218 . Schifano F., Oyefeso A., Corkery J., Cobain K., Jambert-Gray R., Martinotti G., Ghodse A.H.: Death rates from ecstasy (MDMA, MDA) and polydrug use in England and Wales 1996-2002. Hum Psychopharmacol 2003 [Citado el 17 de Septiem-bre del 2021]; 18: pp. 519-524. Disponible en: https://d1wqtxts1xzle7. cloudfront.net/49545955/hup.52820161012-27187-n075zm.pdf?1476276534=&response-content-disposi-tion=inline%3B+filename%3DDeath_rates_from_ecstasy_MDMA_MDA_and_po.pdf&Expires=1631920095&Signature=b0zet0oQKAYNiNeGU-L0ASPSM6SounBU04m-paCGsnOJpKYsRw7RDlb3klnomZueFv0MPg~gnijpkiMJqpHa3JqwWMNh8pfvuXzyaXaztuuNCjh0E-FwLRooiRnQzPljfMewInplV2Suj6M4L7qcFZ-2HjNBjkk2hcyV8TUc7FfdektwYl~3ObBauXQC6KuB4UbVVTsptHCqcukcPhuWl9T~Jf5jCzCA-

cUvKf~pSDLWYRon9z7jLYprRUcwDvG66Q--PoxMZqAK2y9vXgNAs891BGOWZKuf7trXNa7gQRPIJyjwYSe~G6cB283eioYx69FxroLQo3W86w15twe9g0Q__&Key-Pair-Id=APKAJLOHF5GGSLRBV4ZA

219. Jonas M.M.: Case records of the Massachusetts General Hospital. Weekly clinicopathological exercises. Case 6-2001. A 17-year-old girl with marked jaundice and weight loss. N Engl J Med 2001 [Citado el 17 de Septiembre del 2021]; 344: pp. 591-599. Disponible en: https://pubmed.ncbi.nlm. nih.gov/11207356/

220. Reneman L., Majoie C.B., Schmand B., van den Brink W., den Heeten G.J.: Prefrontal N-acetylaspartate is strongly associ-ated with memory performance in (abstinent) ecstasy users: preliminary report. Biol Psychiatry 2001 [Citado el 17 de Septiembre del 2021]; 50: pp. 550-554. Disponible en: http://citeseerx.ist.psu.edu/viewdoc/download?doi=10.1.1.1061.1127&rep=rep1&type=pdf

221. Hays PA. Proton nuclear magnetic resonance spectroscopy (NMR) methods for determining the purity of reference drug standards and illicit forensic drug seizures. J Forensic Sci. 2005 Nov [Citado el 17 de Septiembre del 2021];50(6): pp. 1342-1360. Disponible en: https://pubmed.ncbi.nlm.nih. gov/16382828/

222. Van Deursen, M. M.; Lock, E. R.; Portman-van der Neer, A. Organic impurity profiling of 3,4-methylenedioxymethamphetamine (MDMA) tablets seized in The Netherlands. J.; Sci. Justice 2006 [Citado el 17 de Septiembre del 2021]: 46: pp.135-152. Disponible en: https://europepmc.org/article/ med/17388242

223. Schneider, R. C.; Kovar, K. A.; Forensic Sci. Int. 2003[Citado el 19 de Septiembre del 2021]: 134 pp. 187-195. Disponible en: https://www.sciencedirect.com/science/article/abs/pii/S0379073803001257

224. Hays, P. A.; Thompson, R. A.; Magn. Reson. Chem. 2009 [Citado el 19 de Septiembre del 2021], 47, pp. 819. https://analyticalsciencejournals.onlinelibrary.wiley.com/doi/epdf/10.1002/mrc.2464

225. Malz, F.; Jancke, H.; J. Pharm. Biomed. Anal. 2005 [Citado el 19 de Septiembre del 2021], 38, 813-823. Disponible en: https://www.sciencedirect.com/science/article/abs/pii/S0731708505001597

226. Dowling G.P., McDonough E.T., Bost R.O.: “Eve” and “ecstasy”: a report of five deaths associated with the use of MDEA and MDMA. JAMA 1987 [Citado el 19 de Septiembre del 2021]; 257: pp. 1615-1617. Disponible en: https://jamanetwork.com/journals/jama/article-abstract/365202

227. Gill J.R., Hayes J.A., deSouza I.S., Marker E., Stajic M.: Ecstasy (MDMA) deaths in New York City: a case series and review of the literature. J Forensic Sci 2002 [Citado el 19 de Septiembre del 2021]; 47: pp. 121-126. Disponible en: https://www.astm.org/DIGITAL_LIBRARY/JOURNALS/FORENSIC/PAGES/ JFS15211J.htm

228. Libiseller K., Pavlic M., Grubwieser P., Rabl W.: Ecstasy-deadly risk even outside rave parties. Forensic Sci Int 2005 [Citado el 19 de Septiembre del 2021]; 153: pp. 227-230. Disponible en: https:// www.sciencedirect.com/science/article/abs/pii/S0379073804007698

229. Caballero F., Lopez-Navidad A., Cotorruelo J., Txoperena G.: Ecstasy-induced brain death and acute hepatocellular fail-ure: multiorgan donor and liver transplantation. Transplantation 2002 [Citado el 19 de Septiembre del 2021]; 74: pp. 532-537. Disponible en: https://journals.lww.com/transplantjournal/fulltext/2002/08270/ecstasy_induced_brain_death_and_acute.17.aspx

230 . De Carlis L., De Gasperi A., Slim A.O., Giacomoni A., Corti A., Mazza E., Di Benedetto F., Lauterio

67 Diagnóstico Clínico Aplicado Año XII · Número 139 · Marzo 2023

A., Arcieri K., Maione G., Rondinara G.F., Forti D.: Liver transplantation for ecstasy-induced fulminant hepatic failure. Transplant Proc 2001; 33: pp. 2743-2744. Disponible en: https://d1wqtxts1xzle7.cloudfront.net/49304512/s0041-1345_2801_2902176-520161002-1760-hmbari.pdf?1475464731=&response-content-disposi-tion=inline%3B+filename%3DLiver_transplantation_for_ecstasy_induce. pdf&Expires=1632114215&Signature=f6aK7Yc9p3UBpuxP6ex1S7vF2G6CMMTbX8pTmQcyjAIzs82WR7GE-j~hVfua23UBBZL9oC6FucZv9lO8DCdphaxHt0SEgc-CbarTwUQpZM2JYEYj5PQdWBOFhaPNBdSUhoyjpKpwB~NlQG8ZpxDnIPmphRnSx6GxPxAG9ByOOwsnvQCQRilPYJo2vBEOPz2lF4MtfhUVzgzL4Bd0DDs7qhLCiUHxlLettzYRbF7FBFk0lT2aqn4za9ZdethjBCJy2DvjggzF2HZJejPZXDL1eWropfHhgUHz0RXazIaNFOsYezMqynOcoFN2Fk~jiTiIY6yhbLUKH310vJc5rpYXiQ__&Key-Pair-Id=APKAJLOHF5GGSLRBV4ZA

231. Garbino J., Henry J.A., Mentha G., Romand J.A.: Ecstasy ingestion and fulminant hepatic failure: liver transplantation to be considered as a last therapeutic option. Vet Hum Toxicol 2001 [Citado el 19 de Septiembre del 2021]; 43: pp. 99-102. Disponible en: https://europepmc.org/article/med/11308131

232. Gouzoulis-Mayfrank E, Hermle L, Kovar KA, Sass H. Die Entaktogene “ecstasy” (MDMA), “eve” (MDEA) und andere ringsubstituirte Methamphetaminderivate. Eine neue Stoffklasse unter den illegalen Designerdro-gen? Nervenarzt 1996;67:369-80. Disponible en: https://europepmc.org/article/ med/9005345

233. Christophersen AS. Amphetamine designer drugs - an overview and epidemiology. Toxicol Lett 2000; 112-113 [Citado el 19 de Septiembre del 2021]: pp.127-131. Disponible en: https://www.sciencedirect.com/science/article/abs/pii/S0378427499002052

234. Shulgin AT. The background and chemistry of MDMA. J Psychoactive Drugs 1986 [Citado el 19 de Septiembre del 2021]; 18: pp 291-304. Disponible en: https://www.tandfonline.com/doi/ abs/10.1080/02791072.1986.10472361?journalCode=ujpd20

235. Rosenbaum M. Ecstasy: America’s new “reefer madness”. J Psychoactive Drugs 2002 [Citado el 19 de Septiembre del 2021]; 34:137. Disponible en: https://citeseerx.ist.psu.edu/viewdoc/download?doi=10.1.1.499.4979&rep=rep1&type=pdf

236. Vollenweider F.X., Gamma A., Liechti M., Huber T.: Psychological and cardiovascular effects and short-term sequelae of MDMA (“ecstasy”) in MDMA-naive healthy volunteers. Neuropsychopharmacology 1998 [Citado el 19 de Septiembre del 2021]; 19: pp. 241-251. Disponible en: https://www.nature. com/articles/1395197.pdf?origin=ppub

237. Saguil A. Psychological and pharmacologic treatments for adults with PTSD. Am Fam Physician. 2019 [Citado el 19 de Septiembre del 2021];99: pp. 577-583. Disponible en: https://www.aafp.org/ afp/2019/0501/p577.html

238. O’Neil M, McDonagh M, Hsu F, Cheney T, Carlson K, Holmes R, et al. Pharmacologic and nonpharmacologic treatments for posttraumatic stress disorder: groundwork for a publicly available repository of randomized controlled trial data [Internet]. 2019 May [Citado el 19 de Septiembre del 2021]. Disponible en: https://www.ncbi.nlm.nih.gov/sites/books/NBK541639/ [

239. Mithoefer MC, Wagner MT, Mithoefer AT, Jerome L, Doblin R. The safety and efficacy of {+/-}3,4-methylenedioxymethamphetamine-assisted psychotherapy in subjects with chronic, treatment-resistant posttraumatic stress disorder: the first randomized controlled pilot study. J Psychopharmacol. 2011 [Citado el 19 de Septiembre del 2021];25: pp. 439-452. Disponible en: https:// journals.sagepub.com/doi/full/10.1177/0269881110378371

240. Mithoefer MC, Mithoefer AT, Feduccia AA, Jerome L, Wagner M, Wymer J, et al. 3,4-methylenedioxymethamphetamine (MDMA)-assisted psychotherapy for post-traumatic stress disorder in military veterans, firefighters, and police officers: a ran-domised, double-blind, dose-response, phase 2 clinical trial. Lancet Psychiatry. 2018 [Citado el 19 de Septiembre del 2021];5:486-497. Disponible en: http://www.prati.org.il/wp-content/uploads/2019/01/23.pdf

241. Ot’alora GM, Grigsby J, Poulter B, Van Derveer JW 3rd, Giron SG, Jerome L, et al. 3,4-Methylenedioxymethamphetamine-assisted psychotherapy for treatment of chronic posttraumatic stress disorder: a randomized phase 2 controlled trial. J Psychopharmacol. 2018 [Citado el 19 de Septiembre del 2021];32:1295-1307. Disponible en: https://www.ncbi.nlm.nih.gov/pmc/articles/PMC6247454/

242. Bedi G. 3,4-methylenedioxymethamphetamine as a psychiatric treatment. JAMA Psychiatry. 2018 [Citado el 19 de Sep-tiembre del 2021];75: pp. 419-420. Disponible en: https://jamanetwork. com/journals/jamapsychiatry/article-abstract/2675298

243. Yazar-Klosinski BB, Mithoefer MC. Potential psychiatric uses for MDMA. Clin Pharmacol Ther. 2017 [Citado el 19 de Septiembre del 2021];101: pp. 194-196. Disponible en: https://ascpt.onlinelibrary. wiley.com/doi/pdfdirect/10.1002/cpt.565

244. Berra Yazar Klosinski y Jennifer Mitchell. A Randomized Double-Blind, Placebo Controlled Phase 3 Study Assessing Efficacy and Safety of MDMA-Assisted Therapy for the Treatment of Severe PTSD. Biol. Psychiatry. Volumen 89, Número 9, 2021-05-01, Páginas S105-S105 [Citado el 18 de Agosto del 2021]. Disponible desde: https://www-clinicalkey-es.binasss.idm.oclc.org/#!/content/ journal/1-s2.0-S0006322321003747

245. Thal SB, Lommen MJ. Current perspective on MDMA-assisted psychotherapy for posttraumatic stress disorder. J Con-temp Psychother. 2018 [Citado el 19 de Septiembre del 2021];48:99-108. Disponible en: https://link.springer.com/article/10.1007/s10879-017-9379-2

246. Kamilar-Britt P, Bedi G. The prosocial effects of 3,4-methylenedioxymethamphetamine (MDMA): controlled studies in humans and laboratory animals. Neurosci Biobehav Rev. 2015 [Citado el 19 de Septiembre del 2021]; 57: pp. 433-446. Disponible en: https://www.ncbi.nlm.nih.gov/pmc/articles/ PMC4678620/

247. Stewart LH, Ferguson B, Morgan CJ, et al. Effects of ecstasy on cooperative behaviour and perception of trustworthiness: a naturalistic study. J Psychopharmacol. 2014 [Citado el 19 de Septiembre del 2021];28: pp. 1001-1008. Disponible en: https://journals.sagepub.com/doi/ abs/10.1177/0269881114544775

248. Oehen P, Traber R, Widmer V, et al. A randomized, controlled pilot study of MDMA (+/3,4-methylenedioxymethamphetamine)-assisted psychotherapy for treatment of resistant, chronic post-traumatic stress disorder (PTSD). J Psychopharmacol. 2013 [Citado el 19 de Septiembre del 2021]; 27:40-52. Disponible en: https://journals.sagepub.com/doi/pdf/10.1177/0269881112464827

249. Feduccia AA, Holland J, Mithoefer MC. Progress and promise for the MDMA drug development program. Psychopharma-cology (Berl). 2018;235: pp.561-571 [Citado el 19 de Septiembre del 2021]. Disponible en: https://link.springer.com/article/10.1007%2Fs00213-017-4779-2

250. Wagner MT, Mithoefer MC, Mithoefer AT, et al. Therapeutic effect of increased openness: investigating mechanism of action in MDMA-assisted psychotherapy. J Psychopharmacol. 2017 [Citado el 19 de Septiembre del 2021];31: pp.967-974. Disponible en: https://journals.sagepub.com/doi/

68 Revista Bioreview®

pdf/10.1177/0269881117711712

251. Yazar-Klosinski BB, Mithoefer MC. Potential psychiatric uses for MDMA. Clin Pharmacol Ther. 2017 [Citado el 19 de Septiembre del 2021];101: pp. 194-196. Disponible en: https://ascpt.onlinelibrary. wiley.com/doi/full/10.1002/cpt.565

252. Bouso JC, Doblin R, Farre M, et al. MDMA-assisted psychotherapy using low doses in a small sample of women with chronic posttraumatic stress disorder. J Psychoactive Drugs. 2008 [Citado el 19 de Septiembre del 2021];40: pp. 225-236. Disponible en: https://www.tandfonline.com/doi/abs/1 0.1080/02791072.2008.10400637

253. Young MB, Andero R, Ressler KJ, et al. 3,4-Methylenedioxymethamphetamine facilitates fear extinction learning. Transl Psychiatry. 2015 [Citado el 19 de Septiembre del 2021];5:e634. Disponible en: https://www.nature.com/articles/tp2015138

254. Amoroso T, Workman M. Treating posttraumatic stress disorder with MDMA-assisted psychotherapy: a preliminary meta-analysis and comparison to prolonged exposure therapy. J Psychopharmacol. 2016 [Citado el 19 de Septiembre del 2021];30: pp. 595-600. Disponible en: https://journals.sagepub. com/doi/abs/10.1177/0269881116642542

255. Doss MK, Weafer J, Gallo DA, et al. MDMA impairs both the encoding and retrieval of emotional recollections. Neuro-psychopharmacology. 2018 [Citado el 19 de Septiembre del 2021];43: pp.791-800. Disponible en: https://www.nature.com/articles/npp2017171

256. Jerome L, Schuster S, Yazar-Klosinski BB. Can MDMA play a role in the treatment of substance abuse? Curr Drug Abuse Rev. 2013 [Citado el 19 de Septiembre del 2021]; 6: pp.54-62. Disponible en: https://www.researchgate.net/profile/Lisa-Jero-me/publication/236579607_Can_MDMA_Play_a_ Role_in_the_Treatment_of_Substance_Abuse/links/5a57d540a6fdccf0ad1a3964/Can-MDMA-Play-aRole-in-the-Treatment-of-Substance-Abuse.pdf

257. Mithoefer MC, Wagner MT, Mithoefer AT, et al. Durability of improvement in post-traumatic stress disorder symptoms and absence of harmful effects or drug dependency after 3,4-methylenedioxymethamphetamine-assisted psychotherapy: a prospective long-term follow-up study. J Psychopharmacol. 2013 [Citado el 19 de Septiembre del 2021];27: pp.28-39. Dispo-nible en: https://journals. sagepub.com/doi/pdf/10.1177/0269881112456611?dom=icopyright&src=syn&

258. White CM. 3,4-Methylenedioxymethamphetamine’s (MDMA’s) impact on posttraumatic stress disorder. Ann Pharmacot-her. 2014 [Citado el 19 de Septiembre del 2021];48: pp.908-915. Disponible en: https://europepmc.org/article/med/24740469

259. Amoroso T. The psychopharmacology of +/-3,4 methylenedioxymethamphetamine and its role in the treatment of post-traumatic stress disorder. J Psychoactive Drugs. 2015 [Citado el 19 de Septiembre del 2021] ;47: pp.337-344. Disponible en: https://www.tandfonline.com/doi/abs/10.1080/02

791072.2015.1094156

260. Patel R, Titheradge D. MDMA for the treatment of mood disorder: all talk no substance? Ther Adv Psychopharmacol. 2015 [Citado el 20 de Septiembre del 2021];5: pp.179-188. Disponible en: https:// journals.sagepub.com/doi/pdf/10.1177/2045125315583786

261. Danforth AL, Struble CM, Yazar-Klosinski B, et al. MDMA-assisted therapy: a new treatment model for social anxiety in autistic adults. Prog Neuropsychopharmacol Biol Psychiatry. 2016 [Citado el

20 de Septiembre del 2021];64: pp. 237-249. Disponible en: https://www.sciencedirect.com/science/ article/pii/S0278584615000603

262. Sessa B. Why psychiatry needs 3,4-methylenedioxymethamphetamine: a child psychiatrist’s perspective. Neurotherapeutics. 2017 [Citado el 20 de Septiembre del 2021];14: pp. 741-749. Disponible en: https://link.springer.com/content/pdf/10.1007/s13311-017-0531-1.pdf

263. Johansen PO, Krebs TS. How could MDMA (ecstasy) help anxiety disorders? A neurobiological rationale. J Psychophar-macol. 2009 [Citado el 20 de Septiembre del 2021];23: pp. 389-391. Disponible en: https://journals.sagepub.com/doi/abs/10.1177/0269881109102787

264. Heifets BD, Malenka RC. MDMA as a probe and treatment for social behaviors. Cell. 2016 [Citado el 20 de Septiembre del 2021]; 166: pp.269-272. Disponible en: https://www.sciencedirect.com/ science/article/pii/S0092867416308534

265. Sessa B. Why MDMA therapy for alcohol use disorder? And why now? Neuropharmacology. 2017 [Citado el 20 de Septiembre del 2021]; pii: pp.83-88. Disponible en: https://www.sciencedirect.com/ science/article/abs/pii/S0028390817305130

266. Murnane KS, Fantegrossi WE, Godfrey JR, et al. Endocrine and neurochemical effects of 3,4-methylenedioxymethamphetamine and its stereoisomers in rhesus monkeys. J Pharmacol Exp Ther. 2010 [Citado el 20 de Septiembre del 2021]; 334: pp. 642-650. Disponible en: https://www.ncbi.nlm.nih. gov/pmc/articles/PMC2913775/

267. Pitts EG, Curry DW, Hampshire KN, et al. (+/-)-MDMA and its enantiomers: potential therapeutic advantages of R(-)-MDMA. Psychopharmacology (Berl). 2018 [Citado el 20 de Septiembre del 2021];235: pp. 377-392. Disponible en: https://link.springer.com/article/10.1007/s00213-017-4812-5

268. Curry DW, Young MB, Tran AN, et al. Separating the agony from ecstasy: R(-)-3,4-methylenedioxymethamphetamine has prosocial and therapeutic-like effects without signs of neurotoxicity in mice. Neuropharmacology. 2018 [Citado el 20 de Septiembre del 2021];128: pp.196-206. Disponible en: https://www.sciencedirect.com/science/article/abs/pii/S0028390817304707

269. Fantegrossi WE. Reinforcing effects of methylenedioxy amphetamine congeners in rhesus monkeys: are intravenous self-administration experiments relevant to MDMA neurotoxicity? Psychopharmacology (Berl). 2007 [Citado el 20 de Septiembre del 2021]; 189: pp. 471-482. Disponible en: https://link.springer.com/article/10.1007/s00213-006-0320-8

270. Wang Z, Woolverton WL. Estimating the relative reinforcing strength of (+/-)-3,4-methylenedioxymethamphetamine (MDMA) and its isomers in rhesus monkeys: comparison to (+)-methamphetamine. Psychopharmacology (Berl). 2007 [Citado el 20 de Septiembre del 2021]; 189: pp.483-488. Disponible en: https://link.springer.com/article/10.1007/s00213-006-0599-5

271. Fantegrossi WE, Ullrich T, Rice KC, et al. 3,4-Methylenedioxymethamphetamine (MDMA, “ecstasy”) and its stereoiso-mers as reinforcers in rhesus monkeys: serotonergic involvement. Psychopharmacology (Berl). 2002 [Citado el 20 de Septiem-bre del 2021]; 161: pp.356-364. Disponible en: https://www.researchgate.net/profile/Thomas-Ullrich-3/publication/225644638_Without_Title/ links/00b4953a8155d265af000000/Without-Title.pdf

272. Buchert R., Thomasius R., Wilke F., Peterson K., Nebeling B., Obrocki J., Schulze O., Schmidt U., Clausen M.: A voxel-based PET investigation of the long-term effects of ‘ecstasy’ consumption on

69 Diagnóstico Clínico Aplicado Año XII · Número 139 · Marzo 2023

EFEMÉRIDES MARZO

08 | Día Internacional de la Mujer 09 | Día Mundial del Riñón 21 | Día Mundial del Síndrome de Down 21 | Día Internacional de la eliminación de la discriminación racial 22 | Día Mundial del del agua 23 | Día Mundial de la Rehabilitación del Lisiado 24 | Día Internacional de la Tubierculosis 25 | Día de los niños por nacer

brain serotonin transporters. Am J Psychiatry 2004 [Citado el 20 de Septiembre del 2021]; 161: pp. 1181-1189. Disponible en: https://ajp.psychiatryonline.org/doi/full/10.1176/appi.ajp.161.7.1181

273. Bhattachary S., Powell J.H.: Recreational use of 3,4-methylenedioxymethamphetamine (MDMA) or “ecstasy”: evidence for cognitive impairment. Psychol Med 2001 [Citado el 20 de Septiembre del 2021]; 31: pp.647-658. Disponible en: https://www.cambridge.org/core/journals/psychological-medicine/article/abs/recreational-use-of-34methylenedioxymethamphetamine-mdma-or-ecstasy-evidence-for-cognitive-impairment/66965C8A9296C9D49DC80998736D60BB

274. G. Bedi, K.L. Phan, M. Angstadt, H. de Wit. Effects of MDMA on sociability and neural response to social threat and social reward. Psychopharmacology: (2009) [Citado el 20 de Septiembre del 2021]: 207 (1): pp. 73-83. Disponible en: https://www.ncbi.nlm.nih.gov/pmc/articles/PMC3328967/

275. R.L. Carhart-Harris, M.B. Wall, D. Erritzoe, M. Kaelen, B. Ferguson, I. De Meer, et al. The effect of acutely administered MDMA on subjective and BOLD-fMRI responses to favourite and worst autobiographical memories. Int. J. Neuropsychophar-macol.: 2014 [Citado el 20 de Septiembre del 2021]: 17 (4): pp. 527-540. Disponible en: https://academic.oup.com/ijnp/article/17/4/527/644594

276. Richard S Snell . Ph.D. Neuroanatomía Clínica. T Capítulo 12: El Tálamo y sus conexiones. Séptima Edición. Wolters Kluers Health: España 2014. pp 626-641.

277. Richard S. Snell Ph.D. Neuroanatomía Clínica. T Capítulo 08: Estructura y localización funcional de la corteza cerebral. Séptima Edición. Wolters Kluers Health: España 2014. pp 479-514.

278 . Friedrich Paulsen y Jens Waschke. Atlas of Anatomy Sobotta: Head, Neck and Neuroanatomy. Capítulo 12: Brain and Spinal Cord. Décimo sexta Edición. El Sevier: Munich, Alemanina 2018. pp 257-440

279. Richard S. Snell Ph.D. Neuroanatomía Clínica. T Capítulo 07: El Cerebro. Séptima Edición. Wolters Kluers Health: Espa-ña 2014. pp 428-478.

280. Ricaurte G.A., McCann U.D: Experimental studies on 3,4-methylenedioxymethamohetamine (MDA, “ectasy”) and its potential to damage brain serotonin neurons. Neurotox Res 2001 [Citado el 20 de Septiembre del 2021]: 3: pp. 85-99. Disponible en: https://link.springer.com/article/10.1007/ BF03033232

281. McCann U.D., Szabo Z., Scheffel U., Dannals R.F., Ricaurte G.A.: Positron emission tomographic evidence of toxic effect of MDMA (“ectasy”) on brain serotonin neurons in human beings. Lancet 1998 [Citado el 20 de Septiembre del 2021]; 352: pp.1433-1437. Disponible en: https://www.sciencedirect. com/science/article/abs/pii/S0140673698043293

282. Reneman L., Lavalaye J., Schmand B., de Wolff F.A., van den Brink W., den Heeten G.J., Booij J.: Cortical serotonin transporter density and verbal memory in individuals who stopped using 3,4-methylenedioxymethamphetamine (MDMA or “ecstasy”): preliminary findings. Arch Gen Psychiatry 2001 [Citado el 20 de Septiembre del 2021]; 58: pp. 901-906. Disponible en: https://jamanetwork.com/ journals/jamapsychiatry/article-abstract/481827

283. Piper B.J.: A developmental comparison of the neurobehavioral effects of ectasy (MDMA). Neurotoxicol Teratol 2007 [Citado el 20 de Septiembre del 2021]; 29: pp.288-300. Disponible en: https:// www.ncbi.nlm.nih.gov/pmc/articles/PMC1896315/

reconsolidation and fear extinction underlying mechanisms?. Prog. Neuropsychopharmacol. Biol. Psychiatry PROG NEURO-PSYCHOPH, 8 de Junio 2018 [Citado el 30 de Agosto del 2021]: 84(Parte A): p. 221-228. Disponible en: https://doi.org/10.1016/j.pnpbp.2018.03.003

285. P.J. Fitzgerakd, J.R. Seemann, S. Maren.Can fear extinction be enhanced? A review of farmacological and behavioral findings. Brain Res. Bull., (2014) [Citado el 20 de Septiembre del 2021]: 105: pp. 46-60. Disponible en: https://www.ncbi.nlm.nih.gov/pmc/articles/PMC4039692/

286. R.L. Carhart Harris, K. Murphy, R. Leech, D. Erritzoe, M.B. Wall, B. Ferguson, et al. The effects of acutely administered 3,4-methylenedioxymethamphetamine on spontaneous brain function in healthy volunteers measured with arterial spin label-ing and blood oxygen level-dependent resting state functional connectivity. Biol. Psychiatry, 2015 [Citado el 20 de Septiembre del 2021]: 78: pp. 554-562. Disponible en: https://www.sciencedirect.com/ science/article/pii/S0006322314000055

287. A. Gamma, A. Buck, T. Berthold, M.E. Liechti, F.X. Vollenweider. 3,4-Methylenedioxymethamphetamine (MDMA) modulates cortical and limbic brain activity as measured by [H(2)(15)O]-PET in healthy humans Neuropsychopharmacology, 2000 [Citado el 20 de Septiembre del 2021]: 23: pp.388395. Disponible en: https://www.nature.com/articles/1395538.pdf?origin=ppub

288. I.C. Walpola, T. Nest, L. Roseman, D. Erritzoe, A. Feilding, D.J. Nutt, et al. Altered insula connectivity under MDMA. Neuropsychopharmacology, 2017 [Citado el 20 de Septiembre del 2021]: 42: pp. 2152-2162. Disponible en: https://www.nature.com/articles/npp201735

289. M. Castellano Arroyo y M. Gisberto Grifo. Capítulo 88, Valoración médico legal del Daño Psíquico. Gisbert Calabuig. Medicina Legal y Toxicología. Séptima Edición. España: El Sevier ; 2019. pp. 1302-1320.

290. A. Pla Martínez y A.F. Hernández Jerez. Capítulo 57, Valoración médico legal del Daño Psíquico. Gisbert Calabuig. Medicina Legal y Toxicología. Séptima Edición. España: El Sevier ; 2019. pp. 879-904.

291. A. Pla Martínez, A.F. Hernández Jerez y M. López-Rivadulla Lamas. Capítulo 58, Interpretación de los resultados en toxi-cología forense. Gisbert Calabuig. Medicina Legal y Toxicología. Séptima Edición. España: El Sevier ; 2019. pp 905-920

292. Trastornos relacionados con sustancias y trastornos adictivos. Asociación Americana de Psiquiatría. Manual Diagnóstico y Estadístico de los Trastornos Mentales DSM-5. Quinta edición. Arlington: Editorial Médica Panamericana; 2014. pp. 481-590

293. Natalia S. Almeida, Luiz E. C. Benedito, Adriano O. Maldaner. A Validated NMR Approach for MDMA Quantification in Ecstasy Tablets. J. Braz. Chem. Soc. 29 (9). Sept. 2018 [Citado el 16 de Agosto del 2021]. Disponible en: https://doi.org/10.21577/0103-5053.20180071

1Fuente: DeCS (Descriptores en Ciencias de la Salud)

2Source: DeCS (Descriptors in Health Sciences)

Correspondencia: Dr. Edgar Andrés Vargas Torres - evargast@Poder-Judicial.go.cr

Creative Commons License Este es un artículo publicado en acceso abierto bajo una licencia Creative Commons

284. Allison A. Fedducia, y Michael C. Mithoefer. MDMA-assistend psycotherapy for PTSD: Are memory

71 Diagnóstico Clínico Aplicado Año XII · Número 139 · Marzo 2023

Evaluacion externa de la Calidad del Laboratorio Clínico

Panunzio R. Amelia P.1 https://orcid.org/0000-0001-6242-5774

1Profesora Titular de la Escuela de Bioanálisis de la Universidad del Zulia y Jefe de Prácticas Profesionales de IV Nivel Escuela de Bioanálisis de la Universidad del Zulia. Directora del Servicio de Laboratorio Clínico de la Escuela de Bioanálisis, Facultad de Medicina, Universidad del Zulia, Venezuela

2477-9172 / 2550-6692 Derechos Reservados © 2022 Universidad Técnica de Ambato, Carrera de Enfermería. Este es un artículo de acceso abierto distribuido bajo los términos de la Licencia Creative Commons, que permite uso ilimitado, distribución y reproducción en cualquier medio, siempre que la obra original es debidamente citada.

Panunzio R/Enfermería Investiga, Investigación, Vinculación, Docencia y Gestión Vol. 7 No. 2 2022 (Abril -Junio)

Enfermería Investiga - Investigación, Vinculación, Docencia y Gestión - https://revistas.uta.edu.ec/erevista/index.php/enfi

Resumen

En la actualidad el laboratorio clínico evoluciona adaptándose a cambios científicos tecnológicos, organizativos y de gestión, inducidos por los avances en el campo de la medicina, nuevas pruebas y metodologías analíticas, así como la creciente sensibilización y expectativas de los usuarios por disponer de servicios y productos de mayor calidad; en toda esta perspectiva el éxito ante los nuevos desafíos para mejorar su eficacia,

dependerá de su desempeño a la vanguardia de la gestión de la calidad, asegurando el logro de los mayores beneficios posibles para la salud del paciente y procurando el óptimo uso de los recursos disponibles en todo su proceso. Sobre esta base, resulta indispensable un sistema de gestión de calidad eficaz, que incluya evaluación interna y programas de evaluación externa de la calidad, lo que proporciona información sobre el nivel de rendimiento del laboratorio en comparación con otros, para promover la armonización de criterios, proce-

72 Revista Bioreview®

dimientos, evaluación de intervenciones, además de ser una estrategia para proporcionar educación y capacitación del recurso humano. Dichos fines requieren que los programas de evaluación externa de la calidad incluyan el proceso total de análisis, no solo enfoque en la fase analítica, sino también la preanalítica y postanalítica, para la obtención de las mejores evidencias que llevan a identificar fuentes de variación, errores en el proceso y oportunidades de mejora de la gestión de la calidad de estos servicios de atención del sector salud en el contexto demandante de los tiempos de hoy.

Palabras clave: aseguramiento de la calidad, fase preanalítica, indicadores, seguridad del paciente, laboratorios

Abstract: Sea External quality assessment in Clinical Laboratory

Currently, the clinical laboratory get moving adapting to technological, organizational and management changes, induced by advances in the field of medicine, new tests and analytical methodologies, technological innovation, as well as the growing sensitivity and expectations of users to have higher quality services and products; in all this perspective, success in the face of new challenges to improve its effectiveness resulted from its performance at the forefront of quality management, ensuring the achievement of the greatest possible benefits for the patient’s health and seeking the optimal use of resources, available throughout your process. On this basis, an effective quality management system, including an internal assessment system and external quality assessment programs, providing information on the level of performance of the laboratory compared to others, is essential to promote harmonization criteria, procedures, exposure assessment, in addition to being a strategy to provide education and training of human resources. These purposes require that external quality assessment programs include the total analysis process, not only focusing on the analytical phase, but also the pre-analytical and post-analytical phases, in order to obtain the best evidence that leads to identifying sources of variation, errors in the process and opportunities to improve the quality management of these health care services in the demanding context of today’s times.

Key words: Clinical laboratory, quality assurance, extra-analytical phase, indicators, Patient Safety.

Introducción

El laboratorio clínico dentro de la atención de salud es un servicio transversal de cuyo proceso total se genera información clínicamente útil a través del análisis de la concentración, composición y/o estructura de analitos en fluidos biológicos (1), su principal objetivo es generar resultados, productos y servicios confiables para el cuidado de la salud de los pacientes.

Tal como describe Lippi (2) sobre el irremplazable valor del diagnóstico de laboratorio, la relativa larga historia de esta

disciplina tal y como se conoce actualmente y que probablemente comenzó alrededor del siglo XIX (2), el diagnóstico de laboratorio es reconocido por su aporte a la toma de decisiones clínicas para los procesos bien sea de diagnóstico, pronóstico o terapéutica de enfermedades; no obstante, el debate abierto sobre la real influencia de las pruebas de laboratorio clínico al proceso de decisión médica, hoy en día no se puede negar que la contribución del laboratorio en la asistencia sanitaria moderna sigue siendo fundamental, ya que ayuda a predecir la susceptibilidad a la enfermedad, hacer diagnósticos precisos, pronóstico y seguimiento de enfermedades (3-6) y su papel cobrará aún más importancia en el futuro de la difusión continua de tecnologías disruptivas y medicina personalizada (2) y a la presencia de la pandemia, enfermedad por Coronavirus, por su siglas en inglés, COVID-19, que dramáticamente ha desafiado la capacidad de los laboratorios para hacer frente a un aumento inesperado en la carga de trabajo y la necesidad de determinaciones relacionadas, tanto con el diagnóstico etiológico del síndrome respiratorio agudo grave por Coronavirus, por sus siglas en inglés, SARS-CoV-2, seguimiento de la evolución pacientes con COVID-19 en las distintas áreas de laboratorio clínico, vigilancia epidemiológica, pruebas serológicas, investigación de la seroprevalencia en subpoblaciones con mayor riesgo de infección, análisis de la eficacia de ensayos clínicos para vacunas, seguimiento de la respuesta en sujetos vacunados y comprensión de variantes del virus, en conjunto ha aumentado a nivel mundial la visibilidad del laboratorio ante la población (7-9).

Enfocar hoy para el laboratorio clínico una de las herramientas consideradas como poderosas para la mejora continua de estos servicios, como lo es la evaluación externa de la calidad, es de importancia dentro de la atención en salud considerando los tiempos demandante de la actualidad; para abordar la evaluación externa de la calidad en esta breve revisión, inicialmente se hará un recorrido sobre el proceso de laboratorio clínico y su complejidad a la luz de las evidencias publicadas, para puntualizar sobre la vulnerabilidad de los límites del proceso de laboratorio clínico que son las fases preanalítica y postanalítica y resaltar en el rol que en los tiempos actuales representa la evaluación externa de la calidad en el laboratorio sobre la base de las experiencias publicadas al respecto por investigadores en la materia.

Desarrollo

El proceso de laboratorio clínico y su complejidad

En el cumplimiento de su función el laboratorio clínico desarrolla su proceso total de análisis a través tres fases estrechamente interconectadas, la fase preanalítica que incluye, la selección y solicitud de pruebas, preparación del pacien-

73 Gestión de la Calidad Año XII · Número 139 · Marzo 2023

te, su identificación, la recolección de muestras y su identificación, transporte de las muestras y su preparación para entrar a la fase analítica donde se lleva a cabo el análisis de las muestras mediante la medición y finalmente la fase postanalítica donde se validan los datos obtenidos, se elabora el informe y se comunican los resultados para los efectos de su interpretación y acción clínica en manos del médico (10-11).

En todo el proceso, el laboratorio tiene la responsabilidad de asegurar que los resultados sean confiables, apoyado en el principio de eficiencia diagnóstica, para aportar información clínicamente útil, para su correcta interpretación y utilización en el proceso de decisión médica, ya sea, diagnóstico, pronostico o terapéutica, lo que implica necesariamente que la prueba esté bien indicada y manejada a lo largo de todo el proceso analítico y finalmente, interpretada de la forma adecuada (11-12).

Para todo su proceso en el laboratorio se requiere de personal profesional competente, metodologías que aporten valor diagnóstico, tecnologías y equipamiento adecuados, tiempos de respuesta ajustados a la demanda, gestión de la información y comunicación, además de la implementación y desarrollo de estrategias para la prevención y control de errores asociados a todo el proceso de análisis que impactan en la seguridad del paciente (13-14).

Es bien conocido que el proceso total de análisis del laboratorio tiene una complejidad característica determinada por la variabilidad; la variabilidad biológica inherente al paciente, la variabilidad derivada de métodos y procedimientos, el continuo y rápido desarrollo de nuevas modalidades de prueba, sus usos y a la actuación humana; de forma aislada o en conjunto se les atribuye la ocurrencia de errores en las distintas fase del ciclo de análisis (pre análisis, análisis y post análisis) que pueden impactar en la seguridad del paciente y en los costos del sistema de salud (15-16).

Resultados de investigación y experiencias publicadas en la literatura, dan cuenta que los errores en el laboratorio, son comunes y que un número considerable se asocian con frecuencia a un diagnóstico erróneo, un diagnóstico tardío o tratamiento inapropiado (10,15,17). Algunos errores pueden no afectar clínicamente al paciente, pero pueden implicar, la repetición de la solicitud analítica o la generación de exploraciones innecesarias, dando como resultado un incremento de los costos o un tratamiento tardío.

Errores cognitivos o errores del sistema, lo relevante es saber que son susceptibles de prevención, lo que refuerza la necesidad de vigilancia y seguimiento de la vulnerabilidad del proceso total de laboratorio, de allí pues, que abordar

los posibles errores ha representado siempre una prioridad en el escenario de los sistemas de salud.

En la actualidad, la perspectiva de la calidad y prevención de errores en el laboratorio se centra en una visión global del proceso total de análisis y a la consolidación de herramientas que minimicen el riesgo de estos errores en la calidad de la prueba y en la práctica clínica (11,15).

En efecto para el laboratorio clínico se dispone de sistemas de gestión de calidad y de competencia técnica, que incluyen métodos trazables, validados y bien controlados con el objetivo de tener un mejor desempeño de las prácticas diarias; como parte del proceso de aseguramiento de la calidad de los resultados de análisis, los laboratorios llevan a cabo el control de calidad interno y participan en uno o más programas de comparación inter laboratorio, tal como un programa de evaluación externa de la calidad (EQA, por sus siglas en inglés) o un programa de ensayo de aptitud (PT, por sus siglas en inglés) apropiado para el análisis y la interpretación de sus resultados, herramientas valiosas en el proceso de mejora de la calidad de los servicios de laboratorio clínico (18-21).

El concepto de control interno de la calidad se ha empleado tradicionalmente para definir todas aquellas actividades relacionadas con el control de la calidad, desde el procesamiento de los controles hasta el tratamiento de los datos que se realizan dentro del laboratorio (20).

La evaluación externa de la calidad (external quality assessment [EQA]) es el sistema que vigila de forma objetiva al laboratorio mediante un organismo externo. El propósito principal no es evaluar la consistencia día a día del laboratorio, sino establecer comparaciones entre laboratorios; la evaluación externa de la calidad, proporciona información sobre el nivel de rendimiento del laboratorio en comparación con otros laboratorios participantes (22).

A lo largo de los años los esfuerzos para el logro de mayor eficiencia en el proceso de análisis de laboratorio clínico, se han dirigido hacia la mejora de la tecnología, metodologías analíticas cada vez más precisas y exactas, sensibles y especificas; incorporación y uso de especificaciones de calidad, metas analíticas bien definidas para el efectivo manejo de los procedimientos de medida analíticos, a través tanto de procedimientos de control interno como la participación de los laboratorios en evaluación externa de la calidad, lo que ha conllevado a una reducción significativa en la tasa de errores de laboratorio atribuibles a la fase analítica y a un incremento provechoso en el volumen, variedad y complejidad de pruebas de laboratorio clínico (15,17,23).

74 Revista Bioreview®

Sin embargo, para el caso de las fases preanalítica y postanalítica, fases que se encuentran en los límites del proceso, estas no han sido objeto de evaluación en forma sistemática. Tradicionalmente, ha habido atención limitada en lo que sucede con las muestras antes que lleguen al laboratorio y dentro del proceso pre y post analítico y la mayoría de las veces es común que los errores no sean informados y sus efectos subestimados, tal como se refiere en diversas investigaciones donde se deja evidencia de la frecuencia de errores a nivel de las fases pre y post analíticas del proceso (10-14,17,23).

Son numerosas las investigaciones donde se reseña que la gran mayoría de los errores de laboratorio ocurren en la fase preanalítica (61,9 - 68,2%), seguido según frecuencia por errores en la fase post analítica (18.5 - 23,1%), registrándose para la fase analítica proporciones más bajas de errores (13,3 - 15%); dentro del proceso total de análisis debe tomarse muy en cuenta que los errores que pueden ocurrir en los límites del proceso, afectan la calidad analítica, la fiabilidad del informe de resultados y su utilidad en la práctica clínica (10,15,24).

Datos publicados sobre la frecuencia, naturaleza y distribución de los errores en el proceso del laboratorio clínico, ha sensibilizado la comunidad científica sobre la necesidad de un enfoque innovador de calidad, como contribución del laboratorio clínico a la seguridad del paciente (15,25) que plantea, reevaluar el proceso total de análisis de laboratorio, considerando no solo el aseguramiento de la calidad en la fase analítica, sino también, atender la vulnerabilidad de las fases pre analítica y post analítica, a través de estrategias que siguen el mismo modelo para el control en la fase analítica a través del uso de indicadores de calidad con sus especificaciones de desempeño (15).

La Vulnerabilidad de las fases extra analíticas (pre análisis y post análisis) del proceso de laboratorio y los indicadores de calidad

Un cuerpo de evidencia recopilado en las últimas décadas demuestra que las fases preanalítica y post analítica del ciclo del proceso de laboratorio clínico son más propensos a errores que la fase analítica (10, 15-16, 24).

La fase preanalítica es considerada la más vulnerable y los errores más frecuentes son los relacionados con problemas de identificación del paciente y sus muestras y los que se originan durante los procedimientos de obtención, manejo y transporte de las muestras hacia el laboratorio y dentro del servicio, incidencias que pueden dar lugar a alteración de la idoneidad de la muestra, afectando la calidad de los

especímenes biológicos y la precisión de los resultados analíticos (12,15).

Para que el resultado de una prueba refleje fielmente la concentración, estructura o composición de un analito en determinado fluido biológico, la prueba debe realizarse en una muestra que haya sido objeto de un adecuado manejo preanalítico. Las variables preanalíticas cuando no son controladas alteran la integridad de los bio especímenes y pueden generar modificaciones in vitro que afectaran la medición. Cuando el resultado de una prueba se desvía de lo esperado, la integridad analítica de los datos, más que la integridad preanalítica de la muestra, es cuestionada.

Los factores determinantes de la ocurrencia de errores preanalíticos, suelen ser atribuidos principalmente a la falta de estandarización o armonización de actividades manuales que se llevan a cabo en la fase preanalítica, discreción en el proceso de solicitud de pruebas, inadecuado cumplimiento de procedimientos operativos estándar por parte del personal que participa en las extracciones sanguíneas, deficiencias en el manejo de las muestras y su preparación, en el transporte y las condiciones de almacenamiento de las muestras, fuentes todas de errores pre analíticos, que en visión de conjunto pueden impactar incluso en la eficacia de la intervenciones que se programan para la reducción de los errores en esta fase del proceso (15-16,25).

Para permitir un paso analítico preciso y fiable, en la fase preanalítica deben cumplirse la llamada regla de los “cinco derechos” (11) para asegurar que para todos los especímenes se cumple, el Paciente Correcto (identificación), el Momento Correcto, la Prueba Correcta, La adecuada Recolección y finalmente el adecuado Transporte”. De modo subsiguiente, la “regla de los cinco derechos” debería asegurar una preparación correcta de la muestra que involucra “la separación correcta (por ejemplo, centrifugación), el pretratamiento correcto, la alicuotación, clasificación y el enrutamiento correcto para entrar a la fase analítica (11,15-16).

Análogamente al final del ciclo del proceso de laboratorio, la evidencia recopilada de investigaciones relacionadas dan muestras de la vulnerabilidad de las fase post analítica; entre los errores más comunes en la fase post analítica se citan: errores en el ingreso de los datos en el sistema de información, errores de transcripción, validaciones erróneas de datos analíticos, tiempo de respuesta muy largos en la entrega de informes de laboratorio, ausencia de comentarios interpretativos sobre todo en el caso pruebas complejas y no comunicación de valores críticos en el tiempo previsto (10-11,16).

75 Gestión de la Calidad Año XII · Número 139 · Marzo 2023

En esta fase, la regla de los “cinco derechos” que debe asegurarse es “el tiempo de respuesta correcto, la validación de datos correcta, el reporte de las unidades correctas, los intervalos de referencia/límites de decisión correctos, el registro de comentarios interpretativos cuando corresponda y la notificación de valores críticos en el tiempo establecido (11).

Sean factores relacionados con el sistema, factores relacionados con el rendimiento cognitivo, factores atribuibles al paciente, los errores deben estudiarse, su naturaleza y su causa raíz, para poder incidir efectivamente en el control (11,16).

El manejo efectivo de las fases extra analíticas en el laboratorio clínico es solo posible a través de la aplicación continua del enfoque basado en la evidencia, que incluya dentro del control que: 1) los procesos de laboratorio sean monitoreados; 2) la existencia de un sistema operativo y funcional de detección de errores; y 3) el análisis de las causas de error, como parte de la continua mejora de la gestión de la calidad (15,26-27).

Años de estudio y experiencias de investigación de organizaciones relacionadas con el mundo del laboratorio, entre ellas, la Federación Internacional de Química Clínica (IFCC) líder del proyecto “Errores de laboratorio clínico y seguridad de paciente”, ha venido estimulando la búsqueda de estrategias que minimicen los riesgos de errores potenciales en los laboratorios clínicos, mediante la evaluación del desempeño con indicadores de calidad, con énfasis en las fases pre analítica y post analítica (17,25). Es un modelo de calidad basado en un lista de indicadores definidos por consenso, con un sistema común de informes y una propuesta de especificaciones de desempeño confiables que incluye a además de la fase analítica, indicadores con especificaciones de desempeño para las fases preanalíticas y post analítica (12,15,17,25) que puede ser de relevante utilidad para obtener puntos de referencias de comparación con otros laboratorios en todo el mundo, cuando tales indicadores y su rendimiento son integrados a un programa de evaluación externa de la calidad (9,28).

Diferentes líneas de evidencia apuntan que los indicadores de calidad son indicadores de rendimiento armonizados, considerados una herramienta valiosa que permite a los laboratorios clínicos documentar y monitorear todos los procedimientos del ciclo de prueba y como componente de un programa de evaluación externa de la calidad proporciona datos para establecer rendimientos comparativos intra e inter laboratorios lo que incide en la mejora de la gestión de la calidad (12,15).

Los indicadores de calidad operan con especificaciones de desempeño que siguen para el caso de las fases preanalíticas y postanalíticas el mismo modelo de las especificaciones de rendimiento aplicables a indicadores de calidad en la fase analítica (12,15,25,28-29).

En este sentido, para la fase preanalítica, se disponen de indicadores de calidad que permiten identificar y monitorear la variabilidad atribuible a los procedimientos de: solicitud de análisis, preparación del paciente, identificación del paciente y sus muestras y durante la obtención, manejo y transporte de los especímenes biológicos (15,17,25,29).

En lo concerniente a la fase postanalítica, indicadores para identificar, documentar y monitorear, el tiempo de respuesta del laboratorio, tanto para pacientes ambulatorios como hospitalizados, la validación del informe de resultados del análisis y la notificación de valores críticos de los resultados que representan peligros potenciales para la seguridad del paciente (15,17,25,29).

El rol de la Evaluación Externa de la calidad en el laboratorio

La evaluación externa de la calidad se introdujo por primera vez en las décadas de 1950 y 1960 en respuesta al papel cada vez mayor de las pruebas de laboratorio como parte esencial del diagnóstico y manejo de enfermedades y a la conciencia del grado de variabilidad en los resultados de un laboratorio a otro (28).

El término “evaluación de calidad externa” (EQA, por sus siglas en inglés) se utiliza para describir un método/proceso, que permite comparar las pruebas realizadas por un laboratorio, con las de una fuente externa, de un grupo de pares o un laboratorio de referencia. La participación exitosa en un programa de evaluación externa de la calidad brinda evidencia objetiva de la competencia del servicio para sus usuarios, los organismos de acreditación y las agencias reguladoras y sirve como una fuente única de información que no se puede obtener fácilmente de otras maneras (5,6).

Es importante destacar que la participación en un programa evaluación externa, permite un proceso de “revisión por pares” para resolver problemas técnicos y metodológicos para mejorar la gestión de la calidad del servicio (18-19,22,30).

La evaluación externa de la calidad desempeña un papel crucial en los procesos de armonización y estandarización, al garantizar la evaluación y el seguimiento de la comparabilidad de los resultados de las pruebas, entre diferentes laboratorios y a lo largo del tiempo (18-19,21-22).

76 Revista Bioreview®

El propósito de los programas de evaluación externa de la calidad, incluye: (a) la evaluación del desempeño del laboratorio para pruebas específicas y su monitoreo continuo, (b) la identificación de diferencias entre laboratorios, (c) la evaluación del desempeño del método/sistema de diagnóstico, (d) el grado de comparabilidad entre métodos/sistemas de diagnóstico y (e) el seguimiento del éxito de los esfuerzos de armonización/estandarización para mejorar la comparabilidad de los resultados (18, 21-22).

Este tipo de programas puede organizarse a nivel nacional, regional o internacional. En algunos países, son voluntarios en otros es mandatorio; los principios y requisitos fundamentales para ejecutar un programa de evaluación externa de la calidad están descritos en detalle en la Norma ISO/ 17043:2010 (31).

En la mayoría de los países desarrollados, los programas de evaluación externa están bien establecidos y han contribuido en gran medida a mejorar la calidad de la atención en todos los niveles del sistema de salud, en cuanto corresponde a laboratorios (18-19). La situación en los países en desarrollo, tal como se refiere por la Organización Mundial de la Salud (OMS), como por lo reseñado en investigaciones relacionadas, los gobiernos deben reconocer la importancia de implementar medidas de calidad en la atención al paciente, promover pruebas de calidad en todos los niveles y asignar recursos adecuados para garantizar la calidad en los servicios de laboratorio. Los resultados deficientes de las pruebas tienen un impacto financiero, social y de salud significativo y, por lo tanto, las inversiones destinadas a mejorar la calidad de las pruebas generarán beneficios en el futuro (18).

La evaluación externa de la calidad en el laboratorio según la definición que hace la OMS es el sistema para verificar objetivamente el rendimiento de un laboratorio (18-19); es una herramienta valiosa en el proceso de mejora de la calidad de los servicios de laboratorio clínico. Los objetivos específicos de los programas de evaluación externa de la calidad, según la OMS, son: Educar, entrenar y ayudar a los participantes con prestación insuficiente.

Sus principales objetivos son educativos, y pueden ser apoyados por elementos adicionales, tales como los planes específicos destinados a extender la evaluación a través de todas las fases del ciclo de prueba, incluyendo la interpretación de los resultados.

En la actualidad, un sistema de gestión de calidad eficaz para el laboratorio, debe incluir además de un sistema de evaluación interna, la participación del laboratorio en pro-

cesos de comparación inter laboratorio mediante programas de Evaluación externa, cuyo rol es promover la armonización de criterios, procedimientos, evaluación de intervenciones, además de ser una estrategia para proporcionar educación y capacitación (18-19,22,29).

En toda esta perspectiva puede entenderse que la evaluación externa de la calidad, es la verificación sistemática que la prestación del servicio de laboratorio cumple con el nivel de competencia y calidad requerida para el cuidado del paciente y la participación activa promueve que la comparación entre laboratorios, aporte potencialmente la realización de cambios para conducir a mejores resultados para el paciente, un mejor rendimiento dentro del sistema y contribuir además con el desarrollo profesional .

Los esquemas tradicionales (EQA / PT) tienden a abordar sólo el proceso analítico (procedimientos de examen), pero existen esquemas innovadores que permiten evaluar tanto las actividades pre como postanalíticas del laboratorio clínico (17,25,29).

En términos normativos y para los fines de participar en procesos de acreditación, la Norma Internacional ISO 15189: 2012, establece que “los programas de evaluación externa de la calidad deben, en la medida de lo posible, proporcionar desafíos clínicamente relevantes que imiten muestras de pacientes y tengan el efecto de verificar todo el proceso de examen, incluidos los procedimientos previos y posteriores al examen”(32).

Los laboratorios deben, por lo tanto, participar adicionalmente en programas de evaluación externa que cubran las fases extra analíticas del proceso de laboratorio. (27,32-33)

La evaluación sistemática de lo concerniente a la calidad de los formularios de solicitud de análisis; las potenciales fuentes de variabilidad relacionados con la identificación del paciente y sus muestras; la idoneidad del espécimen biológico durante la obtención, el manejo y transporte en la fase preanalítica del proceso de laboratorio clínico y los aspectos relacionados con la validación del resultado e informe, el tiempo de respuesta y el manejo de la comunicación de valores críticos, entre otros, son desafíos que deben incluirse en la evaluación externa dirigida a las fases extra analíticas para realmente evaluar el desempeño de todo el proceso del laboratorio.

Muchos proveedores de esquemas de evaluación externa de la calidad brindan información al laboratorio sobre aspectos preanalíticos y post analíticos (21,27-28)

77 Gestión de la Calidad Año XII · Número 139 · Marzo 2023

Como resultado de experiencias de investigación innovadoras, hoy en día para la validación de la competencia técnica se desarrollan esquemas de evaluación externa de las fases extra analíticas mediante tres modelos de evaluación; la aplicación de cuestionarios para evaluar el cumplimiento de los procedimientos preanalíticos (tipo I), la distribución de especímenes biológicos con simulación de errores para evaluación los reportes de cómo son tratados (tipo II) y el seguimiento de la incidencia de eventos adversos en el pre análisis y post análisis mediante el uso de indicadores de calidad tipo III) (34-36).

Estas metodologías validas que se han aplicado en Estados Unidos de América, Canadá, Reino Unido, España, Holanda, Finlandia, Noruega, Suecia, Australia, otros (25,27,29 34-37) como esquemas de evaluación externa de la calidad dirigido a las fases extra analíticas, permitirán conocer cuál de los esquemas de evaluación proporcionan las mejores evidencias para identificar fuentes de variación, errores en el proceso y las oportunidades de mejora para la operatividad de la gestión de la calidad de estos servicios de atención del sector salud.

La evaluación externa de la calidad como parte del sistema de gestión de la calidad en el laboratorio, tiene relevantes direcciones futuras en razón de la evolución de la tecnología analítica, como de las demandas cambiantes del mundo y de la profesión, entre algunas de las líneas de evidencias que muestran las destacadas contribuciones de la evaluación externa de la calidad a en la época moderna son: los esquemas de evaluación externa para las fases preanalíticas y post analítica (34,35,36), los actuales esquemas de evaluación externa para asegurar la calidad de las pruebas de laboratorio en el lugar de asistencia (22,28), avances de evaluación externa en países de recursos limitados (28), esquemas para la evaluación externa en el área de la hematología y contaje automatizado de células (22,28), enfoques innovadores para el análisis estadístico en la evaluación de la fase analítica (28,38); evaluación externa para la armonización y estandarización del diagnóstico molecular y serológico de SARS-CoV-2 y cada vez más necesario para el aseguramiento de la calidad de pruebas en las distintas áreas del laboratorio clínico que son demandadas para la valoración de la evolución de los pacientes con COVID-19 (7-9).

Conclusión

Queda en manos de los países y sus gerencias de salud, los profesionales de laboratorio y las organizaciones proveedoras de evaluación externa, que los diferentes esquemas validos puedan operarse de manera que a través de la valiosa información que aportan, pueda contribuirse al desempeño

de las mejores prácticas para anticipar y satisfacer las demandas de este campo cambiante de pruebas diagnósticas de laboratorio y requisitos de armonización en la asistencia sanitaria moderna.

REFERENCIAS BIBLIOGRÁFICAS

1. Lippi G. The irreplaceable value of laboratory diagnostics: Four recent tests that have revolutionized clinical practice. EJIFCC. 2019; 30:7-13. https://pubmed.ncbi.nlm.nih. gov/30881270/

2. Burke MD. (2000) Laboratory medicine in the 21st Century. Am J Clin Pathol 114:841-846. DOI: 10.1309/TH8P-1CAL-9K3G-VFTM

3. Plebani M, Lippi G (2016) Improving diagnosis and reducing diagnostic errors: the next frontier of laboratory medicine. Clin Chem Lab Med 54:1117–1118 DOI: 10.1515/ cclm-2016-0217

4. Wilson ML, Fleming KA, Kuti MA et al (2018) Access to pathology and laboratory medicine services: a crucial gap. Lancet 391:1927–1938 DOI: 10.1016/S0140-6736(18)30458-6

5. Plebani M, Laposata M, Lippi G. Driving the route of laboratory medicine: a manifesto for the future. Intern Emerg Med. 2019 Apr;14(3):337-340. doi: 10.1007/s11739-019-02053-z.

6. Neumaier M, Watson ID. The end of Laboratory Medicine as we know it? Clin Chem Lab Med. 2019 Feb 25;57(3):305-307. doi: 10.1515/cclm-2018-1264.

7. Eren F, Tuncay ME, Oguz EF, Neselioglu S, Erel O. The response of total testing process in clinical laboratory medicine to COVID-19 pandemic. Biochem Med (Zagreb). 2021 Jun 15;31(2):020713. doi: 10.11613/BM.2021.020713

8. Lippi G, Plebani M. The critical role of laboratory medicine during coronavirus disease 2019 (COVID-19) and other viral outbreaks. Clin Chem Lab Med. 2020 Jun 25;58(7):1063-1069. doi: 10.1515/cclm-2020-0240

9. Plebani M. Laboratory medicine in the COVID-19 era: six lessons for the future. Clin Chem Lab Med. 2021 Apr 7. doi: 10.1515/cclm-2021-0367.

10. Mrazek C, Lippi G, Keppel MH, Felder TK, Oberkofler H, Haschke-Becher E, Cadamuro J. Errors within the total laboratory testing process, from test selection to medical decisionmaking - A review of causes, consequences, surveillance and solutions. Biochem Med (Zagreb). 2020 Jun 15;30(2):020502. doi: 10.11613/BM.2020.020502

11. Plebani M. Towards a new paradigm in laboratory medicine: the five rights. Clin Chem Lab Med. 2016 Dec 1;54(12):1881-1891. doi: 10.1515/cclm-2016-0848.

12. Plebani M. Quality in laboratory medicine: 50years on. Clin Biochem.2017Feb;50(3):101-104. doi: 10.1016/j.clinbiochem.2016.10.007. Epub 2016 Oct 17

13. Westgard J. 2013 Perspectives on Quality Control, Risk Management, and Analytical

78 Revista Bioreview®

Quality Management. Clin Lab Med 33 (2013) 1–14 doi: 10.1016/j.cll.2012.10.003. Epub 2012 Dec 20.

14. Plebani M.2016 Harmonization in laboratory medicine: Request, samples, measurements and reports. Crit Rev Clin Lab Sci. 2016; 53(3):184-96 doi: 10.3109/10408363.2015.1116851

15. Plebani M; EFLM Task Force on Performance Specifications for the extra-analytical phases. Performance specifications for the extra-analytical phases of laboratory testing: Why and how. Clin Biochem. 2017 Jul;50(10-11):550-554. doi: 10.1016/j.clinbiochem.2017.02.002.

16. Plebani M. System-related and cognitive errors in laboratory medicine. Diagnosis (Berl). 2018 Nov 27;5(4):191-196. doi: 10.1515/dx-2018-0085.

17. Sciacovelli L, Plebani M The IFCC Working Group on laboratory errors and patient safety. Clin Chim Acta. 2009 Jun;404(1):79-85 doi: 10.1016/j.cca.2019.07.007

18. World Health Organization. 2016 Manual for organizing a national external quality assessment programme for health laboratories and other testing sites WHO, Geneva, Switzerland ISBN 978 92 4 154967 7 https://www.who.int/publications/i/item/9789241549677

19. World Health Organization. 2011 Overview of external quality assessment (EQA): module 10, content sheet 10-1WHO, Geneva, Switzerland. https://www.who.int/publications/m/ item/overview-of-external-quality-assessment-eqa

20. Prada E, et al. Control interno de la calidad vs control externo de la calidad. Rev Lab Clin. 2016. DOI: 10.1016/j.labcli.2016.04.003

21. Jones GR. The role of EQA in harmonization in laboratory medicine - a global effort. Biochem Med (Zagreb). 2017 Feb 15;27(1):23-29. doi: 10.11613/BM.2017.004

22. Sciacovelli L, Secchiero S, Padoan A, Plebani M. External quality assessment programs in the context of ISO 15189 accreditation. Clin Chem Lab Med. 2018 Sep 25;56(10):1644-1654. doi: 10.1515/cclm-2017-1179.

23. Cornes MP, Atherton J, Pourmahram G, Borthwick H, Kyle B, West J, Costelloe SJ. Monitoring and reporting of preanalytical errors in laboratory medicine: the UK situation Ann Clin Biochem. 2016 Mar;53(Pt 2):279-84 DOI: 10.1177/0004563215599561

24. Carraro P, Plebani M. Errors in a stat laboratory: types and frequency 10 years later. Clin Chem 2007;53: 1338-42 DOI: 10.1373/clinchem.2007.088344

25. Sciacovelli L, Lippi G, Sumarac Z, West J, Garcia Del Pino Castro I, Furtado Vieira K, Ivanov A, Plebani M; Working Group “Laboratory Errors and PatientSafety” of International Federation of Clinical Chemistryand Laboratory Medicine (IFCC). Quality Indicators in Laboratory Medicine:the status of progress of IFCC Working Group “Laboratory Errors and Patient Safety” Project Clin Chem Lab Med. 2017 Mar 1;55(3):348-357 doi: 10.1515/cclm2016-0929.

Feb;53(3):357-70 doi: 10.1515/cclm-2014-1051.

27. Badrick T, Gay S, McCaughey EJ, Georgiou A. External Quality Assessment beyond the analytical phase: an Australian perspective. Biochem Med (Zagreb). 2017 Feb 15;27(1):73-80. doi: 10.11613/BM.2017.009

28. De la Salle B, Meijer P, Thomas A, Simundic AM. Special issue on External Quality Assessment in Laboratory Medicine - current challenges and future trends. Biochem Med (Zagreb). 2017 Feb 15;27(1):19-22. doi: 10.11613/BM.2017.003

29. Sciacovelli L, Aita A, Plebani M Extra-analytical quality indicators and laboratory performances Clin Biochem. 2017 Jul;50(10-11):632-637. doi: 10.1016/j. clinbiochem.2017.03.020

30. James D, Ames D, Lopez B, Still R, Simpson W, Twomey P. External quality assessment: best practice. J Clin Pathol. 2014 Aug;67(8):651-5. doi: 10.1136/jclinpath-2013-201621

31. International Organization for Standardization/International Electrotechnical Commission. Conformity assessment: general requirements for proficiency testing. ISO 17043. Geneva: ISO/IEC; 2010. Disponible en: https://www.iso.org/standard/29366.html

32. International Organization for Standardization. ISO 15189:2012: Medical LaboratoriesRequirements for quality and competence. ISO: Geneva, Switzerland; 2012. Disponible en:https://www.iso.org/standard/56115.html#:~:text=ISO%2015189%3A2012%20can%20 be,regulating%20authorities%20and%20accreditation%20bodies.

33. Llopis MA, Bauça JM, Barba N, Álvarez V, Ventura M, Ibarz M, Gómez-Rioja R, Marzana I, Puente JJ, Segovia M, Martinez D, Alsina MJ. Spanish Preanalytical Quality Monitoring Program (SEQC), an overview of 12 years’ experience. Clin Chem Lab Med. 2017 Mar 1;55(4):530-538. doi: 10.1515/cclm-2016-0382.

34. Kristensen GB, Aakre KM, Kristoffersen AH, Sandberg S. How to conduct External Quality Assessment Schemes for the pre-analytical phase? Biochem Med (Zagreb) 2014;24:114-22. https://doi.org/10.11613/BM.2014.013.

35. Nikolac N, Lenicek Krleza J, Simundic AM. Preanalytical external quality assessment of the Croatian Society of Medical Biochemistry and Laboratory Medicine and CROQALM: finding undetected weak spots. Biochem Med (Zagreb)2017;27:131-43. https://doi. org/10.11613/BM.2017.017.

36. Lenicek Krleza J, Dorotic A, Grzunov A. External quality assessment of medical laboratories in Croatia: preliminary evaluation of post-analytical laboratory testing. Biochem Med (Zagreb) 2017;27:144-52. https://doi.org/10.11613/

26. Lippi G, Banfi G, Churcha M, Cornesa M, De Carli,G Grankvista K, Kristensena G, Ibarza M, Panteghini M, Plebani M,Nyboa M, et al. Preanalytical quality improvement. In pursuit of harmony, on behalf of European Federation for Clinical Chemistry and Laboratory Medicine (EFLM) Working group for Preanalytical Phase (WG-PRE) Clin Chem Lab Med. 2015

37. Itziar Marzana Sanz, Mercedes Ibarz Escuer, María Antonia Llopis Diaz, Nuria Barba Meseguer, María Jesús Alsina Kirchner, Débora Martínez Espartosa y colaboradores. Recomendaciones para el diseño e implementación de un programa de aseguramiento de la calidad de la fase preanalítica Revista del Laboratorio Clínico Volume 12, Issue 4, 2019, Pages e54-e65 https://doi.org/10.1016/j.labcli.2019.01.003.

38. Coucke W. Demystifying EQA statistics and reports. Biochem Med (Zagreb) 2017;27:37-48. https://doi.org/10.11613/ BM.2017.006

79 Gestión de la Calidad
XII ·
139 · Marzo
Año
Número
2023

Conforme los hechos de público conocimiento y de acuerdo a las recomendaciones de organismos internacionales en referencia al COVID-19, las fechas previstas para los eventos se encuentran sujetas a confirmación por parte de los organizadores. Se sugiere chequearlas previamente.

FORMACIÓN CON MODALIDAD A DISTANCIA

Western Blot

On demand - Organiza Biocealab cursos@biocealab.com - www.biocealab.com

Curso de Actualización en Psicofarmacología

Consultar fecha de inicio (cada módulo prevé una dedicación de 120 horas distribuidas en 3 meses)

Organiza COFyBCF (Colegio Oficial de Farmacéuticos y Bioquímicos de la Capital Federal) bioquimicos@cofybcf.org.ar; educacioncontinua@cofybcf. org.ar, www.cofybcf.org.ar

Actualización en Hemostasia y Coagulación

Inscripción permanente

Organiza UNL - (Universidad Nacional del Litoral) formacioncontinua@fbcb.unl.edu.ar http://www.fbcb.unl.edu.ar/app/cursos.php

Monitoreo Terapéutico de Drogas

Inscripción permanente

Organiza UNL (Universidad Nacional del Litoral) formacioncontinua@fbcb.unl.edu.ar http://www.fbcb.unl.edu.ar/app/cursos.php

Curso sobre Micología Médica

Inscripciones abiertas

Organiza Fundación Química Argentina info@fundacionquimica.org.ar

Manejo Práctico de las Alteraciones del Ciclo y Amenorreas Contarán con 120 días para completar el curso administracion@saegre.org.ar; saegre@saegre.org.ar www.saegre.org.ar/curso_online_amenorreas.asp

El laboratorio en Endocrinología Ginecológica y Reproductiva (Curso Online)

Contarán con 90 días para completar el curso. administracion@saegre.org.ar saegre@saegre.org.ar www.saegre.org.ar/curso_online_laboratorio.asp

Diagnóstico y manejo práctico de la Osteoporosis (Curso Online)

Contarán con 90 días para completar el curso. administracion@saegre.org.ar saegre@saegre.org.ar www.saegre.org.ar/curso_online_osteoporosis.asp#

Panorama General de la Hematología (Curso Online)

Organiza Colegio Mexicano de Ciencias de Laboratorio Clínico A.C. (CMCLabC) y grupo HematoLab Diagnostic. cursosydiplomadoshd@hematolabdiagnostic.com.mx http://hematolabdiagnostic.com.mx/curso-i-panorama-general-de-la-hematologiacutea-hematopoyesis.html

Clasificación de las Anemias con Base en los Índices

Eritrocitarios y Cambios Morfológicos de la Serie Roja (parte I) (Curso Online)

Organiza Colegio Mexicano de Ciencias de Laboratorio Clínico A.C. (CMCLabC) y grupo HematoLab Diagnostic. cursosydiplomadoshd@hematolabdiagnostic.com.mx

80 Revista Bioreview®

http://hematolabdiagnostic.com.mx/curso-ii-clasificacioacuten-de-las-anemias-con-base-en-los-iacutendices-eritrocitarios-y-cambios-morfoloacutegicos-de-la-serie-roja-parte-i.html

Taller de Comprensión lectora en Inglés

Consultar fecha de inicio

Cobico (Colegio Bioquímico de Córdoba) cobico@cobico.com.ar www.cobico.com.ar

Curso de Inglés para Profesionales de la Salud

Consultar fecha de inicio

Cobico (Colegio Bioquímico de Córdoba) cobico@cobico.com.ar www.cobico.com.ar

Organizan OPS (Organización Panamericana de la Salud), FIU (Florida International University) y ReAct Latinoamérica

info@reactlat.org

https://reactlat.org/encuentro-latinoamericano-comunidades-empoderadas/

Actualización en Salud Reproductiva - Modulo 1: Preconcepción y Fertilidad.

8 de marzo al 31 de mayo de 2023 posgrado@ffyb.uba.ar http://www.ffyb.uba.ar/CAyP/ampliacion-contenido-cursos-de-actualizacion/actualizacion-en-salud-reproductiva-modulo-1-preconcepcion-y-fertilidad-curso-virtual-747?es,0,mnu-e-56-11-105-1-mnu-,

La Nefrología desde el Laboratorio y la Clínica I: Fisiopatología renal y bioquímica de los líquidos y electrolitos. (Cuatrimestral)

13 de marzo de 2023

Organiza ABA (Asociación Bioquímica Argentina) cursos@aba-online.org.ar

Biología Molecular: aplicaciones Clínicas (Anual)

13 de marzo de 2023

Organiza ABA (Asociación Bioquímica Argentina) cursos@aba-online.org.ar

Estadísticas Prácticas: “Herramientas básicas para la investigación clínica” (Anual)

13 de marzo de 2023

Organiza ABA (Asociación Bioquímica Argentina) cursos@aba-online.org.ar

Estadística Aplicada a las Ciencias de la Salud. Curso Virtual

15 de marzo al 5 de julio de 2023 posgrado@ffyb.uba.ar http://www.ffyb.uba.ar/CAyP/ampliacion-contenido-cursos-de-actualizacion/estadistica-aplicada-a-las-cienciasde-la-salud-curso-virtual-26?es,0,mnu-e-56-11-105-1-mnu-,

Curso Anual de Microbiología Clínica

20 de marzo de 2023

Organiza ABA (Asociación Bioquímica Argentina) cursos@aba-online.org.ar

Tópicos de actualización en Bioquímica Clínica en la práctica diaria 2023

20 de marzo de 2023

Organiza ABA (Asociación Bioquímica Argentina) cursos@aba-online.org.ar

Control de Calidad Interno. Fundamentos y estrategias para el laboratorio clínico

27 de marzo de 2023

Organiza ABA (Asociación Bioquímica Argentina) cursos@aba-online.org.ar

81 Agenda de Formación Continua y de Posgrado Año XII · Número 139 · Marzo 2023

Gases en Sangre, Oximetría, Electrolitos y Metabolitos

27 de marzo de 2023

Organiza ABA (Asociación Bioquímica Argentina) cursos@aba-online.org.ar

Hemostasia: Principios Básicos teóricos y Prácticos

3 de abril de 2023

Organiza ABA (Asociación Bioquímica Argentina) cursos@aba-online.org.ar

Diagnóstico Bacteriológico, de la Clínica la Laboratorio

3 de abril de 2023

Organiza ABA (Asociación Bioquímica Argentina) cursos@aba-online.org.ar

Evaluación de la Pareja Infertil. “Rol e importancia del Laboratorio”

3 de abril de 2023

Organiza ABA (Asociación Bioquímica Argentina) cursos@aba-online.org.ar

Actualización en el Estudio de las Disproteinemias.

6 de abril al 26 de mayo de 2023 posgrado@ffyb.uba.ar http://www.ffyb.uba.ar/CAyP/ampliacion-contenido-cursos-de-actualizacion/actualizacion-en-el-estudio-de-lasdisproteinemias-curso-virtual-062-16943?es,0,mnu-e-56-11105-1-mnu-,

Diagnóstico de las Hemoglobinopatías y Talasemias: “A partir de casos clínicos”

10 de abril de 2023

Organiza ABA (Asociación Bioquímica Argentina) cursos@aba-online.org.ar

Genómica y Bioinformática aplicadas a la Medicina de Precisión

10 de abril de 2023

Organiza ABA (Asociación Bioquímica Argentina) cursos@aba-online.org.ar

La Bioquímica en el Banco de Sangre

10 de abril de 2023

Organiza ABA (Asociación Bioquímica Argentina) cursos@aba-online.org.ar

Patologías Endocrinológicas: “El laboratorio clínico herramienta indispensable en el diagnóstico”

10 de abril de 2023

Organiza ABA (Asociación Bioquímica Argentina) cursos@aba-online.org.ar

Calidad Analítica: Implementación de un Sistema de Gestión de Calidad: Herramientas prácticas para el Laboratorio Bioquímico.

17 de abril de 2023

Organiza ABA (Asociación Bioquímica Argentina) cursos@aba-online.org.ar

Tópicos de Bioquímica Clínica y Patología en Pediatría 2023

17 de abril de 2023

Organiza ABA (Asociación Bioquímica Argentina) cursos@aba-online.org.ar

Casos de Formación Continuada: Importancia del Laboratorio en el Dianóstico Clínico

19 de abril de 2023 academia-seqcml@pacifico-meetings.com

82 Revista Bioreview®

https://www.academia-seqcml.com/images/site/formacion/2023/Programa_Diagn%C3%B3stico_Cl%C3%ADnico_2023.pdf

Herramientas para el Reconocimiento Citomorfológico de los Linfocitos en Trastornos Benignos y Malignos: ¿Linfocitos Reactivos o Sospecha de Neoplasia?

24 de abril de 2023

Organiza ABA (Asociación Bioquímica Argentina) cursos@aba-online.org.ar

Toxicología Legal y Forense

27 de abril de 2023

Organiza ABA (Asociación Bioquímica Argentina) cursos@aba-online.org.ar

El Laboratorio frente a las Enfermedades Cardiovasculares: evaluación de factores de riesgo lipídico, no lipídico y de marcadores del evento agudo

27 de abril de 2023

Organiza ABA (Asociación Bioquímica Argentina) cursos@aba-online.org.ar

Bases Moleculares y Celulares del Funcionamiento del Sistema Inmune

1 de mayo de 2023

Organiza ABA (Asociación Bioquímica Argentina) cursos@aba-online.org.ar

Enfoque Multidisciplinario en el Diagnóstico de la Patología Oncológica

1 de mayo de 2023

Organiza ABA (Asociación Bioquímica Argentina) cursos@aba-online.org.ar

Curso Integral sobre Líquidos de Punción con Tópicos de Urgencia

8 de mayo de 2023

Organiza ABA (Asociación Bioquímica Argentina) cursos@aba-online.org.ar

Hallazgos Inusuales en el Extendido de Sangre Periférica que Orientan a la Sospecha de Diferentes Enfermedades

8 de mayo de 2023

Organiza ABA (Asociación Bioquímica Argentina) cursos@aba-online.org.ar

Utilidad de los Biomarcadores En Sepsis

8 de mayo de 2023

Organiza ABA (Asociación Bioquímica Argentina) cursos@aba-online.org.ar

De la Mesada al Citómetro. Optimización de la Inmunocitometría de Flujo Multicolorimétrica y CellSorting

8 al 29 de mayo de 2023 posgrado@ffyb.uba.ar http://www.ffyb.uba.ar/CAyP/ampliacion-contenido-cursos-de-actualizacion/de-la-mesada-al-citometro-optimizacion-de-la-inmunocitometria-de-flujo-multicolorimetrica-y-cell-sorting-curso-virtual-604?es,0,mnu-e-56-11-105-1-mnu-,

Actualización en el Estudio de las Disproteinemias

12 de junio de 2023

Organiza ABA (Asociación Bioquímica Argentina) cursos@aba-online.org.ar

Claves para la interpretación y validación del hemograma automatizado. Detección de interferencias

12 de junio de 2023

Organiza ABA (Asociación Bioquímica Argentina) cursos@aba-online.org.ar

83 Agenda de Formación Continua y de Posgrado Año XII · Número 139 · Marzo 2023

Estrés Psicosocial y Alteraciones Metabólicas: Nuevos Actores en Viejas Enfermedades.

26 de junio al 28 de julio de 2023 posgrado@ffyb.uba.ar http://www.ffyb.uba.ar/CAyP/ampliacion-contenido-cursos-de-actualizacion/estres-psicosocial-y-alteraciones-metabolicas-nuevos-actores-en-viejas-enfermedades-curso-virtual-789?es,0,mnu-e-56-11-105-1-mnu-,

Rol de la Morfología de las Células Hemáticas en el Laboratorio de Urgencias

26 de junio de 2023

Organiza ABA (Asociación Bioquímica Argentina) cursos@aba-online.org.ar

Microbiología de los Alimentos (teórico – práctico)

Segundo semestre

Organiza ABA (Asociación Bioquímica Argentina) cursos@aba-online.org.ar

Plasma Rico en Plaquetas: Aplicaciones, Alcances y Limitaciones

Segundo semestre

Organiza ABA (Asociación Bioquímica Argentina) cursos@aba-online.org.ar

Médicos y Bioquímicos en el Diagnóstico de la Patología Oncológica

Segundo semestre

Organiza ABA (Asociación Bioquímica Argentina) cursos@aba-online.org.ar

Aspectos Citológicos y Microbiológicos del Exámen de Orina

Segundo semestre

Organiza ABA (Asociación Bioquímica Argentina) cursos@aba-online.org.ar

Aplicaciones de la Citometría de Flujo en la Práctica Clínica. - Curso por Convenio: ABA- GRCF.

3 de julio de 2023

Organiza ABA (Asociación Bioquímica Argentina) cursos@aba-online.org.ar

Evaluación del Semen Humano. Teórico-Práctico

3 de julio de 2023

Organiza ABA (Asociación Bioquímica Argentina) cursos@aba-online.org.ar

Hemostasia en Pediatría

3 de julio de 2023

Organiza ABA (Asociación Bioquímica Argentina) cursos@aba-online.org.ar

Examen de Orina. Aspectos Citológicos y Microbiológicos

10 de julio de 2023

Organiza ABA (Asociación Bioquímica Argentina) cursos@aba-online.org.ar

Curso de Neuroinmunología

10 de julio de 2023

Organiza ABA (Asociación Bioquímica Argentina) cursos@aba-online.org.ar

Curso de Histocompatibilidad

17 de julio de 2023

Organiza ABA (Asociación Bioquímica Argentina) cursos@aba-online.org.ar

El Microscopio como Aliado en el Diagnóstico (Nuevo)

17 de julio de 2023

Organiza ABA (Asociación Bioquímica Argentina) cursos@aba-online.org.ar

84 Revista Bioreview®

Curso de Autoinmunidad – Clínica y Laboratorio

24 de julio de 2023

Organiza ABA (Asociación Bioquímica Argentina) cursos@aba-online.org.ar

Inmunología Celular- El Laboratorio en el Estudio de las Células del Sistema Inmune y sus Patologías

31 de julio de 2023

Organiza ABA (Asociación Bioquímica Argentina) cursos@aba-online.org.ar

Inhibidores Adquiridos de la Coagulación

7 de agosto de 2023

Organiza ABA (Asociación Bioquímica Argentina) cursos@aba-online.org.ar

Dilemas en la identificación Morfológica de las Células de la Serie Mieloide en Sangre periférica

7 de agosto de 2023

Organiza ABA (Asociación Bioquímica Argentina) cursos@aba-online.org.ar

FORMACIÓN CON MODALIDAD PRESENCIAL

ARGENTINA

VI Curso Bianual de Especialización en Endocrinología

Ginecológica y Reproductiva. Buenos Aires 2019 – 2020

Consultar fecha de inicio

CABA

Argentina

Organiza SAEGRE saegre@saegre.org.ar www.saegre.org.ar/cursos_bs_as_2019-2020.asp

Evaluación del Semen Humano y Factor Inmunológico en Fertilidad

8 al 29 de mayo de 2023

CABA, Argentina

Organiza UBA (Universidad de Buenos Aires) posgrado@ffyb.uba.ar

74° Congreso Argentino de Bioquímica 2023

13 al 16 de junio de 2023

CABA - Argentina

cursos@aba-online.org.ar

https://aba-online.org.ar/74o-congreso-argentino-de-bioquimica-2023/

AUSTRALIA

Congreso Argentino de Microbiología 2023

27 al 29 de septiembre del 2023

Organiza AAM (Asociación Argentina de Microbiología)

https://www.aam.org.ar/actividades/714

Atención Bioquímica. El Nuevo Ejercicio Profesional.

24 de agosto al 15 de septiembre de 2023 posgrado@ffyb.uba.ar

http://www.ffyb.uba.ar/CAyP/ampliacion-contenido-cursos-de-actualizacion/atencion-bioquimica-el-nuevo-ejercicioprofesional-curso-virtual-392-16946?es,0,mnu-e-56-11-105-1-mnu-,

AUSTRALIA

APFCB Congress 2024. Asia-Pacific Federation for Clinical Biochemistry and Laboratory Medicine

19 al 22 de octubre de 2024

Sydney - Australia

https://apfcbcongress2022.org/

Asia-Pacific Federation for Clinical Biochemistry and Laboratory Medicine (APFCB) Congress 2024 in Sydney, Australia

31 de octubre al 3 de noviembre de 2024

Sidney, Australia

https://apfcbcongress2022.org/

85 Agenda de Formación Continua y de Posgrado Año XII · Número 139 · Marzo 2023

BÉLGICA

XXVI IFCC-EFLM EUROMEDLAB 2025

18 al 22 de mayo de 2025

Bruselas, Bélgica

https://www.ifcc.org/ifcc-congresses-and-conferences/

BRASIL

48° Congreso Brasileño de Análisis Clínicos

18 al 21 de junio de 2023

Florianópolis, Brasil

https://www.sbac.org.br/cbac/

COLOMBIA

XXVI COLABIOCLI 2024

Abril 2024

Cartagena

Colombia

XXVI COLABIOCLI 2024

28 al 31 de agosto de 2024

Cartagena, Colombia

EMIRATOS ÁRABES

XXVI IFCC WORLDLAB DUBAI 2024

26 al 30 de mayo de 2024

Dubai

Emiratos Árabes Unidos

info@dubai2024.org

https://dubai2024.org/

ESPAÑA

XX Meeting of the SEQCML Scientific Committee

30 al 31 de marzo de 2023

Madrid, España

https://www.seqc.es/

Validación Analítica de los Procedimientos de Medida del Laboratorio Clínico

18 de mayo de 2023

Barakaldo, Vizcaya; España

https://www.seqc.es/es/cursos/validacion-analitica-de-los-procedimientos-de-medida-del-laboratorio-clinico/_id:131/

XVII Congreso LABCLIN 2023

18 al 20 de octubre de 2023

Zaragoza, España

https://www.seqc.es/es/cursos/xvii-congreso-labclin-2023/_id:130/

FRANCIA

CIM2023 - International Metrology Congress

7 al 10 de marzo de 2023

Lyon, Francia info@cfmetrologie.com

https://www.cim2023.com/en/

9th International Symposium on Critical Care Testing and Blood Gases

13 al 14 de junio de 2024

Saint Malo, Francia cbardin@terresetcie.com

https://criticalcaretesting-saintmalo2024.eu/

BIOMEDJ 2023

9 al 10 de marzo de 2023

París, Francia a.bartholemot@comnco.com

https://www.congres-biomedj.fr/

9th International Symposium on Critical Care Testing and Blood Gases

20 al 21 de junio de 2024

Saint-Malo, Francia

contact@criticalcaretesting-saintmalo2024.eu

https://criticalcaretesting-saintmalo2024.eu/

86 Revista Bioreview®

ITALIA

XVI ICPLM - International Congress of Pediatric Laboratory Medicine - Satellite Meeting

20 de mayo de 2023

Roma, Italia

nicholas.vergani@mzevents.it

https://2023roma.org/index.php/xvi-icplm/

Clinical Mass Spectrometry: Validation and Accreditation of IVD and Laboratory Developed Test (LDT) in the new “Regulation EU 2017/746” ERA

20 y 21 de mayo de 2023

Roma, Italia

https://www.ifcc.org/ifcc-congresses-and-conferences/

Point-of-Care Testing: Home, Hospital and BeyondSatellite Meeting

20 y 21 de mayo de 2023

Roma, Italia

Marta.tollis@MZevents.it

https://2023roma.org/index.php/poct-meeting/

Clinical Mass Spectrometry: Validation and Accreditation of IVD and Laboratory Developed Test (LDT) in the new “Regulation EU 2017/746” ERA - Point-of-Care Testing:

Home, Hospital and Beyond - Satellite Meeting

20 de mayo de 2023

Roma, Italia

nicholas.vergani@mzevents.it

https://2023roma.org/index.php/clinical-mass-spectrometry/

XXV IFCC – EFLM Worldlab-Euromedlab Rome 2023

21 al 25 de mayo de 2023

Roma, Italia

www.ifcc.org/ifcc-congresses-and-conferences

MÉXICO

XXIII National Congress of Clinical Chemistry and Laboratory Medicine Expolab Veracruz 2023

28 al 30 de abril de 2023

Veracruz México info@fenacqc.org.mx

http://fenacqc.org.mx/

PERÚ

II Peruvian International Congress of Clinical Pathology and Laboratory Medicine and the IX Peruvian Congress of Clinical Pathology “Dr. Oswaldo Hercelles”

26 al 28 de abril de 2023

La Libertad

Trujillo, Peru

https://www.ifcc.org/ifcc-congresses-and-conferences/

REPÚBLICA CHECA

5th Symposium – Cutting Edge of Laboratory Medicine in Europe – CELME 2023

12 al 13 de octubre de 2023

Praga, República Checa celme2023@cbttravel.cz

http://www.celme2023.cz/

URUGUAY

XIV Congreso de Bioquímica Clínica

11 al 13 de mayo de 2023

Montevideo, Uruguay

congresoabu2023@grupoelis.com.uy

87 Agenda de Formación Continua y de Posgrado Año XII · Número 139 · Marzo 2023

POSTGRADO

Argentina

Organiza Universidad Nacional de Cuyo posgrado@fcm.uncu.edu.ar www.probiol.uncu.edu.ar

DOCTORADOS

Doctorado en Bioquímica y Biología Aplicada

Inscripción abierta

Organiza UNL (Universidad Nacional del Litoral) cytbioq@fbcb.unl.edu.ar posgrado@fbcb.unl.edu.ar

www.unl.edu.ar/blog/carreras/doctorado-en-bioquimica-y-biologia-aplicada

Doctor en Ciencias Biológicas

Inscripción abierta

Organiza UNL (Universidad Nacional del Litoral) cytbioq@fbcb.unl.edu.ar - posgrado@fbcb.unl.edu.ar www.unl.edu.ar/blog/carreras/doctorado-en-ciencias-biologicas

Doctorado en Educación en Ciencias Experimentales

Inscripción abierta

Organiza UNL (Universidad Nacional del Litoral) cytbioq@fbcb.unl.edu.ar posgrado@fbcb.unl.edu.ar www.unl.edu.ar/blog/carreras/doctorado-en-educacion-en-ciencias-experimentales

Doctorado en Ciencias Biológicas

Pre inscripciones abiertas Mendoza

Doctor en Física

Inscripciones abiertas

Organiza UNL (Universidad Nacional del Litoral)

cytbioq@fbcb.unl.edu.ar posgrado@fbcb.unl.edu.ar www.unl.edu.ar/carreras/doctorado-en-fisica/

MAESTRÍAS

Maestría en Ciencias Biomédicas

Maestría binacional compartida entre la Universidad de Buenos Aires

(UBA)

Argentina (Facultad de Medicina y Facultad de Farmacia y Bioquímica) y la Universidad Albert Ludwig de Friburgo (ALU), Alemania (Facultad de Medicina).

http://www.ffyb.uba.ar/maestrias-89/maestria-en-ciencias-biomedicas--imbs-programa-argentino-aleman?es

Magíster en Física

Inscripciones abierWtas

Organiza UNL

(Universidad Nacional del Litoral) cytbioq@fbcb.unl.edu.ar posgrado@fbcb.unl.edu.ar

https://www.unl.edu.ar/carreras/maestria-en-fisica

88 Revista Bioreview®

ESPECIALIZACIONES

Especialización en Vinculación y Gestión Tecnológica

Inscripción abierta

Organiza UNL (Universidad Nacional del Litoral) gtec@unl.edu.ar www.unl.edu.ar/blog/carreras/especializacion-en-vinculacion-y-gestion-tecnologica

Especialización en Bioquímica Clínica en el área de Microbiología Clínica

Preinscripción abierta

Organiza Universidad Nacional de La Rioja posgrado.dacefyn@unlar.edu.ar

https://posgrado.unlar.edu.ar/depto-exactas/

Especialización en Bioquímica Clínica, área Citología.

7 de agosto de 2023

Preinscripción: 17 de junio al 28 de julio 2023

Organiza UBA (Universidad de Buenos Aires) posgrado@ffyb.uba.ar

http://www.ffyb.uba.ar/carreras-de-especializacion-88/citologia?es

Especialización en Bioquímica Clínica, área

Hematología

Marzo / Abril 2024

Organiza UBA

(Universidad de Buenos Aires) posgrado@ffyb.uba.ar

http://www.ffyb.uba.ar/carreras-de-especializacion-88/hematologia?es

BECAS Y CONVOCATORIAS

Búsqueda de candidato a beca postdoctoral CONICET (IIBFIUBA)

Tema: Desarrollo de dispositivos de microfluídica Lab On a Chip de gran tamaño para la producción y purificación de anticuerpos monoclonales de forma integrada.

Requisitos del becario: tener título de doctor/a en biología, bioquímica, farmacia, química, biotecnología o carreras afines o tesis aprobada antes del 31/7/2022 con interés en desarrollar trabajos en equipos interdisciplinarios. Enviar CV

Lugar de trabajo: Grupo de Microfluídica Instituto de Ingeniería Biomédica Facultad de ingeniería, UBA.

Contactos: Dr. Maximiliano Pérez: max@fullgen.com.ar, Dra. María Camila Martínez Ceron: mc4camila@gmail.com, camartinez@ffyb.uba.ar, Dra. Natalia Bourguignon: nataliabourguignon@gmail.com

Estudio de la asociación de Flavonas con Actividad Antitumoral con Inhibidores del EGFR y su adecuada vehiculización para el Tratamiento del Cáncer de Mama.

Requisitos: Graduado en Bioquímica, Farmacia, Biotecnología, Biología o carreras afines. Buen nivel de inglés

Duración de la beca: 3 años a partir de 01/04/2023.

Lugar de Trabajo: IQUIFIB (UBA – CONICET), Depto de Química Biológica, Facultad de Farmacia y Bioquímica, Universidad de Buenos Aires.

Contacto: Dra. Johanna Gabriela Miquet. Enviar CV (que incluya calificaciones y promedios considerando aplazos) al siguiente e-mail miquetig@yahoo.com.ar

89 Agenda de Formación Continua y de Posgrado Año XII · Número 139 · Marzo 2023

AVAN TECNOLOGÍAS IVD

Padre M. Ashkar 688 (Ex Monteagudo) CP 1672 -

Gral. San Martín, Buenos Aires, Argentina - +54 11 4754 2168 http://avan.com.ar - ventas@avan.com.ar

AP BIOTECH

Félix de Azara 757, Lomas de Zamora, Buenos Aires. +54 11 5352 3820 - info@apbiotech.com.ar https://apbiotech.com.ar/news/labs/ Aviso en pág. 18 y 19

LABORATORIOS BACON S. A. I. C.

DICONEX S. A.

Torcuato de Alvear 46 (1878), Quilmes, Argentina - Líneas Rotativas: +54 11 4252 2626 - info@diconex.com www.diconex.com

BERNARDO LEW E HIJOS S.R.L

Perú 150,Bahía Blanca, Argentina

+54 291 455 1794 - info@bernardolew.com.ar www.bernardolew.com.ar

Aviso en pág. 11-13

BIOARS

Estomba 961, CABA, Argentina

+54 11 4555-4601 ventas@bioars.com.ar

Aviso en pág. 25/37

Aviso en pág. 15 JS MEDICINA ELECTRÓNICA S.R.L

Bolivia 462 (B1603CFJ) Villa Martelli, Buenos Aires - +54 11 4709 7707 marketing@jsweb.com.ar - www.jsweb.com.ar

Aviso en pág. 23

GEMATEC EQUIPAMIENTO PARA MEDICINA

Avalos 3651, (1605) Munro, Buenos Aires, Argentina. +54 11 4512-5666 y líneas rotativas. info@gematec.com.ar

Aviso en pág. 43/45

GLYMS INFORMACIÓN EN TIEMPO REAL

Piedras 519 8-A, Capital Federal, República Argentina +54 011 4331 4512 - administracion@glyms.com.

Aviso en pág. 21

90 Revista Bioreview®

IAC INTERNACIONAL

Av. P. Luro 7113 - Mar del Plata - Argentina + 54 223 4783900

ventas@iacinternacional.com.ar

https://iacinternacional.com.ar

Aviso en pág. 59

Instrumental Bioquímico SA

Tel. +54 11 4709 7700

instrumental-b.com.ar

Aviso en pág. 47/49

MANLAB - Diagnóstico Bioquímico y Genómico

Tel. +54 11 6842 1200

manlab.com.ar

Aviso en pág. 17

MERCK S.A.

Ed. Panamericana Plaza, Tronador 4890, Buenos Aires (1430)

https://www.merckgroup.com/ar-es - Cel. +54 11 4546 8100

Aviso en pág. 8-9

Año XII · Número 139 · Marzo 2023

MONTEBIO

Oficina y depósito: Vera 575 CABA Tel. +54 11 4858 0636.rotativas. www.montebio.com.ar/info@montebio.com.ar

Aviso en pág. 35

NextLAB by Genetrics S.A.

Av. del Libertador 8630 6º Piso - Tel. +54 11 5263 0275

info@nextlab.com.ar - www.nextlab.com.ar - Aviso en pág. 30/33

WIENER LAB

Wiener Lab Switzerland S. A. ventas@wiener-lab.com

Horario de Atención: Lunes a Viernes 9 a 18Hs. (-3 GMT)

Aviso en pág. 21

91 Índice de Auspiciantes
92 Revista Bioreview®

Y MÁS DE 11 AÑOS JUNTOS

VISITANOS EN ISSUU.COM
SOMOS
135 EDICIONES
PIONEROS

Turn static files into dynamic content formats.

Create a flipbook
Issuu converts static files into: digital portfolios, online yearbooks, online catalogs, digital photo albums and more. Sign up and create your flipbook.