Revista Bioreview Edición 140 Abril 2023

Page 1

ISSN 2313-9919

Latindex. Folio 23062

Lupus eritematoso sistémico e inmunodeficiencia común variable: dos caras de una misma moneda

Pág. 32

Pág. 38

Nefropatía C1q: diagnóstico inusual de síndrome nefrótico en la infancia. Reporte de caso

24

Caracterización clínica y epidemiológica de pacientes pediátricos con deficiencia selectiva de Inmunoglobulina A
6 Pág.
Pág.
Año XII - Número 140 Abril 2023 www.revistabioreview.com
Clima organizacional en el Policlínico “Dr. Mario Muñoz Monroy”

Editorial RW S. A.

A. Gonzalez 1351,Guaymallén. Mendoza Argentina. CP: 5525 Tel. : +54 261 491 3211 - Skype: revista.bioreview

Director General de Medios

Dr. Sergio A. Sainz ssainz@rwgroup.com.ar

Directora de Contenidos

Dra. Griselda Basile gbasile@rwgroup.com.ar

Social Media Manager / Agente Comercial de Cuentas Cyntia Perez info@rwgroup.com.ar

Directora de Arte y Desarrollo Digital Lucía Zandanel Terán arte@rwgroup.com.ar

Sitios Web www.revistabioreview.com www.cubranews.com.ar www.rwgroup.com.ar

Agradecimientos

Basabe Ochoa, Aura Mearlyn

Cámara Argentina de Laboratorios de Análisis Clínicos

Paats, Astrid

Quintero Chang, Janet

Revista Científico Estudiantil

Revista Cubana de Salud Pública

Revista Nacional Itauguá

Revista Paraguaya de Reumatología

Sánchez González, Mildrey

Registro de la Propiedad Intelectual Nº: En trámite - Revista Bioreview® es propiedad intelectual de RW S. A. - A. González 1351,Guaymallén. Mendoza Argentina. Tel.: +54 261 4313686 - Cel.: +54 261 3345353 - La marca Revista Bioreview® es propiedad de RW S. A. Revista Bioreview® en formato impreso es una publicación mensual de suscripción paga. Las ideas u opiniones expresadas en las notas son responsabilidad de sus autores y no representan el pensamiento de RW S.A. y las firmas anunciantes, quienes deslindan cualquier responsabilidad en ese sentido. Se prohíbe la reproducción total o parcial del material incluido en esta revista por cualquier medio conocido o por conocerse. El uso del contenido de esta revista queda bajo exclusiva responsabilidad del usuario. Impreso en Artes Gráficas BUSCHI S.A. Ferré 2250,1437 Buenos Aires, Capital Federal, Argentina.

Bioquímico Sergio Sainz Director General de Medios ssainz@rwgroup.com.ar Bioquímica Griselda Basile Directora de Contenidos gbasile@rwgroup.com.ar Cyntia Perez Social Media Manager info@rwgroup.com.ar DI Lucía Zandanel Terán Directora de Arte y Desarrollo Digital arte@rwgroup.com.ar

Sumario

Diagnóstico Clínico Aplicado 06

Diagnóstico Clínico Aplicado 24

Caracterización clínica y epidemiológica de pacientes pediátricos con deficiencia selectiva de Inmunoglobulina A

Las inmunodeficiencias primarias (IDP) constituyen un grupo de enfermedades que reflejan un déficit cuantitativo y/o cualitativo en uno o más componentes del sistema inmunológico1. Las manifestaciones clínicas suelen ser muy variadas, pueden estar dadas por infecciones (comunes recurrentes, comunes graves, o raras y graves), inflamación, autoinmunidad,... Página 06

Actualidad 52

El mundo cambia y nosotros nos transformamos

Queremos ser una empresa líder en diagnóstico reconocida por su nivel de servicio y su innovación constante, orientados a mejorar la salud y bienestar de las personas,... Página 52

Nefropatía C1q: diagnóstico inusual de síndrome nefrótico en la infancia

La nefropatía C1q es una glomerulopatía poco comprendida y subdiagnosticada. Se define por un patrón de inmunfluorescencia dominante o codominante de positividad para C1q, con depósitos electrodensos en mesangio, en ausencia de serología y clínica de lupus eritematoso sistémico. Clínicamente se manifiesta con proteinuria severa o de rango nefrótico, en ocasiones hematuria... Página 24

Actualidad

74° Congreso Argentino de Bioquímica

53

El 74° Congreso Argentino de Bioquímica, organizado por la Asociación Bioquímica Argentina, se llevará a cabo en la Ciudad de Buenos Aires del 13 al 16 de junio de 2023 en el Hotel Marriott, Buenos Aires... Página 53

Diagnóstico Clínico Aplicado 32

Gestión de la Calidad 38

Lupus eritematoso sistémico e inmunodeficiencia común variable: dos caras de una misma moneda

La coexistencia de inmunodeficiencias primarias y enfermedades autoinmunes, aunque parezca contradictoria, puede darse en la práctica clínica. Estos casos plantean un desafío terapéutico importante debido al riesgo de infección con el uso de terapia inmunosupresora. Reportamos el primer caso de LES, nefritis lúpica e inmunodeficiencia común variable tratado en forma exitosa con ciclofosfamida e inmunoglobulina endovenosa, sin complicaciones infecciosas graves,...

Página 32

Agenda de Formación 80

Formación con modalidad Online y Presencial en todo el mundo. Página 80

Clima organizacional en el Policlínico “Dr. Mario Muñoz Monroy”

La calidad en la administración y en los servicios se determina, entre otros, por el uso eficiente de los recursos, la reducción de los costos, la adecuada organización de la red de servicios y el grado de participación y satisfacción de los usuarios. De ahí la importancia de conocer el clima organizacional, como fenómeno que puede impactar significativamente en los resultados de la institución.1 El clima organizacional se considera un filtro por el cual pasan los fenómenos objetivos de una organización, que al ser percibidos por los individuos que la integran,... Página 38

Índice de Auspiciantes 90

Nuestros Patrocinantes siempre presentes.

Página 90

Caracterización clínica y epidemiológica de pacientes pediátricos con deficiencia selectiva de Inmunoglobulina A

1Universidad de Ciencias Médicas de Santiago de Cuba. Facultad de Medicina No.1. Santiago de Cuba, Cuba.

2Universidad de Ciencias Médicas de Santiago de Cuba. Hospital Infantil Norte “Juan de la Cruz Martínez Maceira”. Santiago de Cuba. Cuba.

ISSN 1729-6935 RNPS 1804

Citar como: Quintero Chang J, Candebat Correa S, Reguero Cuervo A, Reina Cruz RC, Ri-verón Gutiérrez RM. Caracterización clínica y epidemiológica de pacientes pediátricos con deficiencia selectiva de Inmunoglobulina A. 16 de Abril [Internet]. 2021 [fecha de citación]; 60 (281): e1364. Disponible en: http://www.rev16deabril.sld.cu/index.php/16_4/article/view/1364

Resumen

Introducción: la deficiencia selectiva de IgA es la deficiencia severa o ausencia total de la clase IgA de inmunoglobulinas en el suero sanguíneo y secreciones. Es la inmunodeficiencia primaria más frecuente pero usualmente asintomática y se caracteriza por concentraciones en el suero de IgA disminuidas y niveles normales

de IgG e IgM.

Objetivo: caracterizar clínica y epidemiológicamente a pacientes pediátricos con deficiencia selectiva de IgA.

Método: se realizó un estudio observacional, descriptivo y transversal en pacientes pediátricos con deficiencia selectiva de IgA, en el Hospital Infantil Norte “Juan

6 Revista Bioreview®

de la Cruz Martínez Maceira” de Santiago de Cuba desde enero a octubre del 2019. Se empleó estadística descriptiva.

Resultados: predominó el sexo femenino con 34 pacientes (69,5 %) y las edades comprendidas entre 2 y 4 años (48,7 %). El 51 % de los pacientes presentaron antecedentes familiares, de los cuales la atopia fue el más frecuente (38,8 %). Se evidenció un predominio de las manifestaciones respiratorias (48,9 %) y dentro de ellas la otitis media aguda (18,36 %).

Conclusiones: la deficiencia selectiva de IgA en pacientes pediátricos cursó con manifestaciones respiratorias y alérgicas con más frecuencia. Fueron comunes las infecciones recurrentes y enfermedades atópicas, siendo predominantes la otitis media aguda y la alergia alimentaria respectivamente.

Palabras clave: Deficiencia de IgA; Enfermedades de Inmunodeficiencia Primaria; Inmunoglobulina A; Pediatría.

Abstract

Introduction: selective IgA deficiency is the severe deficiency or total absence of the IgA class of immunoglobulins in blood serum and secretions. It is the most common but usually asymptomatic primary immunodeficiency and is characterized by decreased serum IgA concentrations and normal IgG and IgM levels.

Objective: to characterize clinically and epidemiologically pediatric patients with selective IgA deficiency. Method: an observational, descriptive and cross-sectional study was carried out in pediatric patients with selective IgA deficiency, at the “Juan de la Cruz Martínez Maceira” North Children’s Hospital in Santiago de Cuba from January to October 2019. Descriptive statistics were used.

Results: the female sex predominated with 34 patients (69.5 %) and the ages between 2 and 4 years (48.7 %). 51 % of the patients had a family history, of which atopy was the most frequent (38.8 %). A predominance of respiratory manifestations (48.9 %) was evidenced, including acute otitis media (18.36 %).

Conclusions: selective IgA deficiency in pediatric patients presented with respiratory and allergic manifestations more frequently. Recurrent infections and atopic diseases were common, with acute otitis media and food allergy being predominant, respectively.

Keywords: IgA Deficiency; Primary Immunodeficiency Diseases; Immunoglobulin A; Pediatrics.

Introducción

Las inmunodeficiencias primarias (IDP) constituyen un grupo de enfermedades que reflejan un déficit cuantitativo y/o cualitativo en uno o más componentes del sistema inmunológico1. Las manifestaciones clínicas suelen ser muy variadas, pueden estar dadas por infecciones (comunes recurrentes, comunes graves, o raras y graves), inflamación, autoinmunidad, malignidad, o alergia1,2,3.

En 1952, O. Bruton describió la primera IDP, la agammaglobulinemia ligada al cromosoma X 3,4. El déficit selectivo de IgA (DSIgA) se describió por primera vez en 1961 en pacientes afectados de ataxia-telangectasia5,6.

La inmunodeficiencia más común en humanos es la deficiencia de IgA7, con una prevalencia ampliamente variable en diferentes poblaciones; puede ser asintomática o sintomática8.

La deficiencia de IgA se clasifica en deficiencia parcial (DPIgA) o deficiencia total (DTIgA)8,9. Si solo se afectan los niveles de IgA sin alteraciones de otras inmunoglobulinas séricas como IgM e IgG o subclases de inmunoglobulina G, entonces se denomina como deficiencia selectiva de IgA (DSIgA). La deficiencia de IgA puede ser primaria -origen desconocido-, o secundaria que suele deberse a infecciones o a el consumo de ciertos medicamentos8.

En Cuba se han diagnosticado IDP desde el año 1966, y no han sido registrados los casos con anterioridad. Hasta abril de 2017 se habían registrado un total de 303 pacientes con IDP en Cuba. El mayor número de enfermos corresponde a la provincia de La Habana, por tener mayor número de consultas médicas y mayores recursos para el diagnóstico, seguida por las provincias de Ciego de Ávila (10,5 %), Las Tunas (10,2 %), Pinar del Río (10,2 %) y Sancti Spíritus (8,5 %), y mucho menor en el resto de las provincias3.

El médico de atención primaria debe conocer esta enfermedad cada vez más frecuente e infradiagnosticada debido a que las infecciones recurrentes y/o graves son características clínicas importantes de estas enfermedades.

Por ello el presente estudio se desarrolló con el objetivo de caracterizar clínica y epidemiológicamente a los pacientes pediátricos diagnosticados con deficiencia

7 Diagnóstico Clínico Aplicado Año XII · Número 140 · Abril 2023
8 Revista Bioreview

selectiva de IgA en el Hospital Infantil Norte “Juan de la Cruz Martínez Maceira”, de Santiago de Cuba, desde enero a octubre del año 2019.

Método

Tipo de estudio: se realizó un estudio observacional, descriptivo y transversal en pacientes pediátricos con deficiencia selectiva de IgA en el Hospital Infantil Norte “Juan de la Cruz Martínez Maceira”, de Santiago de Cuba, desde enero a octubre del año 2019.

Universo y muestra: el universo de estudio estuvo conformado por los 49 pacientes pediátricos que fueron atendidos en el servicio de Inmunología del Hospital Infantil Norte “Juan de la Cruz Martínez Maceira”, de Santiago de Cuba, durante el periodo comprendido entre enero y octubre del 2019, los cuales cumplieron con los criterios de inclusión. Se decidió trabajar con la totalidad del universo.

Se incluyeron pacientes con edades comprendidas entre 1 y 18 años, sin distinción de sexo y con historias clínicas disponibles, registrados en la base de datos del Departamento de Inmunología del Hospital Infantil Norte de Santiago de Cuba, con dosaje de inmunoglobulina sérica IgA y dato clínico de infecciones recurrentes y/o graves, manifestaciones alérgicas o alguna otra manifestación.

Solo se consideraron los niños con valores séricos de IgA inferiores a 7 mg/dL o superiores a 7 mg/ dL, pero inferiores a dos desviaciones estándar para el rango de edad, con valores normales de IgG e IgM. Fueron excluidos pacientes con inmunodeficiencia secundaria a fármacos, virus de inmunodeficiencia humana (VIH) o inmunodeficiencias primarias combinadas.

Variables y recolección de datos: las variables estudiadas fueron: edad, sexo, antecedentes familiares, manifestaciones clínicas presentes al momento de consulta, enfermedades atópicas asociadas e infecciones recurrentes.

Para la determinación de la IgA se cumplieron las normas de buenas prácticas establecidas para el laboratorio. Las muestras de sangre fueron colectadas en tubos secos, herméticamente tapados y clasificados con el número de historia clínica, fueron procesadas por turbidimetría en un auto analizador químico, marca Inlab con reactivos de calidad analítica, se tomaron como referencia los valores normales, establecidos para la edad

pediátrica en dicha técnica en el país (pacientes de 1 año: 10-100 mg/dL; 2-6 años: 10-160 mg/dL; 7-18 años: 30-200 mg/dL).

La recolección de la información se realizó a partir de la revisión de las historias clínicas de los pacientes seleccionados mediante la coordinación previa con el Departamento de Archivo del hospital.

Procesamiento estadístico: el procesamiento y análisis de la información se realizó a través del procesador estadístico SPSS versión 21.0. Para evaluar las variables estudiadas se realizaron análisis estadísticos descriptivos, tales como frecuencias absolutas y porcentajes.

Normas éticas: el trabajo fue avalado previo a su realización por el Comité de Ética de la institución y el Consejo Científico. La investigación se realizó teniendo en cuenta los principios de la bioética de beneficencia y no maleficencia, respeto por la autonomía y justicia y considerando los principios básicos expuestos en la II Declaración de Helsinki. Se tomó en cuenta todos los cuidados éticos, se mantuvo total confidencialidad sobre los resultados obtenidos.

Resultados

Predominó el sexo femenino con 34 pacientes (69,5 %) y los pacientes con edades comprendidas entre 2 y 4 años (48,9 %). (Tabla 1).

Se observó predominio de los pacientes con antecedentes familiares de a topia (38,8 %). (Tabla 2).

Se evidenció un predominio de las manifestaciones respiratorias, con 24 pacientes que representan el 48,9 %, seguido de las manifestaciones alérgicas con un 30,6 %. (Tabla 3).

Se apreció que la alergia alimentaria fue la enfermedad atópica asociada con mayor frecuencia (12,2 %). (Tabla 4).

La infección recurrente más frecuente fue la otitis media aguda (18,36 %), seguido de la faringoamigdalitis aguda (16,3 %). (Tabla 5).

Discusión

Las enfermedades por inmunodeficiencias son un grupo de trastornos frecuentemente graves y a menudo mor-

10 Revista Bioreview®

Tabla 1. Distribución de pacientes pediátricos con deficiencia selectiva de IgA según edad y sexo. Hospital Infantil Norte, Santiago de Cuba. Enero a octubre del 2019.

Tabla 2. Distribución de pacientes pediátricos con deficiencia selectiva de IgA según presencia de antecedentes familiares.

Tabla 3. Distribución de pacientes pediátricos con deficiencia selectiva de IgA según manifestaciones clínicas.

12 Revista Bioreview®
Femenino Masculino Total Edad Sexo N° % N° % N° %
Antecedentes familiares N° %*
Manifestaciones clínicas N° %*

tales que reflejan un déficit cuantitativo y/o cualitativo en uno o más componentes del sistema inmunológico, afectándose la homeostasis anti-infecciosa, que se manifiesta en la aparición de infecciones recurrentes, entre otros, síntomas y signos no menos importantes3.

Las causas pueden estar presentes desde el nacimiento debido a la alteración de un gen [inmunodeficiencias primarias (IDP)] o desarrollarse con el paso de los años

secundario a otra afección o condición (inmunodeficiencias secundarias) 3.

La Sociedad Europea para las Inmunodeficiencias (ESID) define la deficiencia selectiva de IgA como una inmunodeficiencia primaria, caracterizada por infecciones recurrentes, principalmente de los tractos gastrointestinal y respiratorio, en asociación con una mayor incidencia de manifestaciones alérgicas

14 Revista Bioreview®
y autoinmunes 8.
Enfermedades atópicas asociadas N° %*
Tabla 4. Distribución de pacientes pediátricos con deficiencia selectiva de IgA según enfermedades atópicas asociadas
Infecciones recurrentes N° %*
Tabla 5. Distribución de pacientes pediátricos con deficiencia selectiva de IgA según infecciones recurrentes.
15 Diagnóstico Clínico Aplicado Año XII · Número 140 · Abril 2023

Según Alonso Valle et al3 las IDP a pesar de que se presentan tanto en hombres como en mujeres, existe una mayor prevalencia en el sexo masculino, debido al patrón de herencia ligado al cromosoma X, lo cual es corroborado por diversos autores como Domínguez et al10 y Caballero et al11, los cuales realizaron estudios en pacientes con edades pediátricas y el 54 % de los mismos pertenecían al sexo masculino, sin embargo, en el presente estudio se constató un predominio del sexo femenino.

Las IDP pueden evidenciarse a cualquier edad, sin embargo, con frecuencia se manifiestan durante la infancia (55 % del total de casos) especialmente en el primer año de vida 3,12.

En el estudio realizado por Reyes-Reyes et al 1 todos los pacientes eran menores de 5 años coincidiendo con el estudio presentado donde predominaron los pacientes con edades entre 2 y 4 años, sin embargo, también resultó destacado el elevado número de pacientes en edades comprendidas entre 5 y 7 años.

Aunque la deficiencia selectiva puede manifestarse antes de los cuatro años, se utiliza esta edad mínima para hacer el diagnóstico definitivo, con el objetivo de evitar un diagnóstico prematuro en niños menores, en los cuales la deficiencia selectiva de IgA podría ser transitoria, por un desarrollo más lento de las células productoras de IgA en la infancia 8.

A pesar de que el diagnóstico definitivo se establezca en la edad antes mencionada, la mayoría de los pacientes (77 %) que tienen una IgA por debajo de 7 mg/dL a los 3 años siguen presentando iguales cifras a los 7 años 10.

Las IDP son enfermedades con una etiología genética o hereditaria: un gen sufre una mutación que se traduce en la síntesis anormal de una proteína, lo que da lugar a una susceptibilidad anormal de un agente infeccioso, con un patrón de herencia determinado 3.

El patrón de herencia predominante es autosómico recesivo (AR); sin embargo, hay entidades con herencia autosómica dominante (AD) o ligada al X (LX) 3.

Los dos tipos de trasmisión hereditaria más frecuentes son el ligado al cromosoma X (antecedentes familiares de varones fallecidos durante la infancia temprana) y el autosómico recesivo (la consanguinidad entre los padres incrementa la posibilidad) 3.

Algunas familias no tienen un tipo de herencia definido aun cuando hay más de un integrante afectado y con mayor susceptibilidad a las infecciones (antecedente de muerte en la infancia de individuos de uno u otro sexo)3.

El antecedente familiar negativo no excluye la posibilidad de una IDP debido a que la madre puede ser portadora de una enfermedad ligada al cromosoma X y no lo sepa, ambos padres sean portadores de una enfermedad autosómica recesiva o que la anomalía genética sea de novo, por una mutación durante el proceso de fertilización del espermatozoide al ovocito3, lo que explica que no todos los pacientes estudiados hayan presentado antecedentes familiares.

La literatura concuerda 5,8,11 en que las infecciones recurrentes del tracto respiratorio son el hallazgo más común en personas con deficiencia de IgA, lo que coincide con los resultados obtenidos en el estudio. Las infecciones respiratorias suelen ser más frecuentes que las gastrointestinales en el déficit selectivo de IgA porque la IgM secretada es más abundante en el intestino que en las vías respiratorias lo que en parte puede compensar la deficiencia de IgA5.

Por otro lado, los pacientes con déficit selectivo de IgA suelen presentar infecciones gastrointestinales dado que la barrera protectora del sistema gastrointestinal se ve afectada, protozoos como Giardia lamblia pueden adherirse al epitelio, proliferar y causar la infección 5.

Se constató un predominio de los pacientes con alergia alimentaria y dermatitis atópica, lo cual coincide con diversos estudios 7,8,13 en los cuales la alergia alimentaria fue una de las manifestaciones alérgicas más frecuentes.

De Oliveira-Serra et al14 sugieren que debido a la disminución en la cantidad de IgA, hay mayor penetración de patógenos a través de las mucosas, contribuyendo a la sensibilización inhalatoria, que a su vez ocasiona cuadros frecuentes de asma y rinoconjuntivitis alérgica.

Otra cuestión a señalar es que en análisis epidemiológicos de poblaciones con atopias la prevalencia de la deficiencia selectiva de IgA es de 1:400, lo que sugiere que estos pacientes en sus secreciones pueden absorber con mayor rapidez proteínas alergénicas, incrementando la formación de anticuerpos tipo IgE15.

16 Revista Bioreview®
18 Revista Bioreview®
19 Diagnóstico
Año XII · Número 140 · Abril 2023
Clínico Aplicado

Las enfermedades alérgicas en pacientes con deficiencia selectiva de IgA a menudo son más difíciles de controlar que las mismas alergias en otros sujetos. Los síntomas alérgicos en estos enfermos pueden desencadenarse por infección, así como por agentes ambientales 15.

Los autores consideran que es necesario sospechar deficiencia selectiva de IgA en pacientes con alergias múltiples y refractarias, teniendo en cuenta que las alergias son unas de las manifestaciones clínicas más importantes en estos pacientes.

La otitis media aguda y la faringoamigdalitis aguda fueron las infecciones más frecuentes, lo cual coincide con diversos estudios 7,8,13.

En el estudio de De Oliveira-Serra et al14 los individuos con deficiencia total de IgA presentaron mayor número de procesos infecciosos de rinosinusitis, amigdalitis y conjuntivitis, comparados con aquellos con deficiencia parcial de IgA, lo cual se explica por la falta de protección contra patógenos presentes en las mucosas de las vías aéreas superiores, donde habitualmente se secreta la IgA.

Se ha demostrado que la deficiencia total de IgA pue -

de propiciar giardiasis, meningoencefalitis vírica y, con menos frecuencia, neumonía. Los pacientes con deficiencia total pueden manifestar aún mayor susceptibilidad a infecciones víricas -principalmente por enterovirus y parainfluenza e infecciones bacterianas 14.

En la investigación realizada por Caballero et al11 las manifestaciones clínicas más frecuentes fueron las infecciones respiratorias en un 40 % y entre ellas la neumonía fue predominante, además se observaron infecciones cutáneas, fiebre sin foco, abscesos, adenopatías y enfermedad alérgica.

Los autores consideran que en estos pacientes son características las infecciones recurrentes y persistentes como consecuencia de la alteración cuantitativa/cualitativa del sistema inmune.

Es de conocimiento, que el sub-diagnóstico de inmunodeficiencia, o retraso en el mismo, lleva a una morbilidad y mortalidad significativa e importante impacto social y económico, considerándose un problema a resolver en los pacientes con otras enfermedades 1.

La principal limitación que se encontró a la hora de la realización del estudio fue el pequeño tamaño mues-

20 Revista Bioreview®

tral que dificulta la extrapolación de los resultados, esto estuvo condicionado por la pequeña población de pacientes diagnosticados con deficiencia selectiva de IgA captados en el servicio de inmunología durante el periodo de estudio y que cumplieran con los criterios de inclusión.

Teniendo en cuenta los resultados encontrados se considera de gran importancia que los médicos de atención primaria, pediatras e inmunólogos reconozcan esta enfermedad, para de esta forma valorar el riesgo y tomar decisiones y conductas rápidas para evitar complicaciones que puedan comprometer la vida del paciente.

Una vez diagnosticado el déficit selectivo de IgA, es necesario un seguimiento regular clínico e inmunológico, al menos una vez al año, para poder evaluar la asociación a nuevas enfermedades y la evolución, para de esta forma mejorar el pronóstico de los pacientes.

Conclusiones

La deficiencia selectiva de IgA en pacientes pediátricos cursó con manifestaciones respiratorias y alérgicas con

más frecuencia. Fueron comunes las infecciones recurrentes y enfermedades atópicas, siendo predominantes la otitis media aguda y la alergia alimentaria respectivamente.

Autoría

JQC: conceptualización, curación de datos, análisis formal, investigación, administración del proyecto, redacción-revisión y edición.

SCC: conceptualización, análisis formal, investigación, redacción–borrador original, redacción-revisión y edición.

ARC y CRC: análisis formal, investigación, redacción –revisión, edición y borrador original.

RRG: investigación, redacción–revisión, edición y borrador original.

Todos los autores aprobaron la versión final del manuscrito.

Financiación: Los autores no recibieron financiación para desarrollar la presente investigación.

21 Diagnóstico Clínico Aplicado Año XII · Número 140 · Abril 2023

REFERENCIAS BIBLIOGRÁFICAS

1. Reyes-Reyes E, Orive-Rodríguez NM, Romero-Portelles Ld, Cardoso-Paredes M. Respuesta inmune por anticuerpos en niños de hasta cinco años con enfermedades genéticas. Rev. Electrón. Dr. Zoilo E. Marinello Vidaurreta. [Internet]. 2020 [citado 17/05/2021]; 45(1). Disponible en: http://revzoilomarinello.sld. cu/index.php/ zmv/article/view/2118

2. Azizi G, Ziaee V, Tavakol M, Alinia T, Yazdai R, Mohammadi H. Approach to the Management of Autoimmunity in Primary Immunodeficiency. Scand. J Immunol. [Internet]. 2016 [citado 17/05/2021]; 85(1):13-29. Disponible en: https://doi.org/10.1111/ sji.12506.

3. Alonso Valle A, Candelaria Gómez B, Valdés Lanza L. Inmunodeficiencias Primarias: un reto para la inmuno-genética. Rev. cuba. reumatol. [Internet]. 2020 [citado 17/05/2021]; 22(2):e133. Disponible en: http://scielo.sld.cu/ pdf/rcur/ v22n2/1817-5996-rcur- 22-02-e828.pdf

4. Hernández-Martínez C, Espinosa-Padilla SE, HernándezMartínez AR, Blancas-Galicia L. Conceptos básicos de las inmunodeficiencias primarias. Rev Alerg Méx. [Internet]. 2016 [citado 17/05/2021]; 62(2):180-189. Disponible en: http:// revistaalergia. mx/ojs/index.php/ram/article/ view/146/307

5. Rojas-Torres DS, Bastidas-Yaguana DK, Sierra-Santos L, AguilarShea AL. Importancia del déficit selectivo de inmunoglobulina A. Semergen [Internet]. 2014 [citado 17/05/2021]; 40(3):e65-e68. Disponible en: https://doi.org/10.1016/j.semerg.2013.01.013

6. Castillo Leyva Y, Alonso Remedios A, Lara García G, Pardo Martínez D, Vera Razumova A. Signos de alarma para el diagnóstico de las inmunodeficiencias primarias. Una propuesta adaptada a la provincia de Cienfuegos. Medisur. [Internet]. 2017 [citado 17/05/2021]; 15(6):884-887. Disponible en: http://scielo. sld.cu/ pdf/ms/v15n6/ms18615.pdf

7. Yazdani R, Azizi G, Abolhassani H, Aghamohammadi A. Selective IgA deficiency: epidemiology, pathogenesis, clinical phenotype, diagnosis, prognosis and management. Scand J Immunol. [Internet]. 2017 [citado 17/05/2021]; 85(1):3-12. Disponible en: https://www.onlinelibrary. wiley.com/doi/ epdf/10.1111/ sji.12499

8. Franco-Gallego A, Peláez Sánchez RG, Trujillo CM, Rojas JL, Correa N, Franco JL. Deficiencia selectiva de inmunoglobulina A: manifestaciones clínicas, hallazgos de laboratorio y diagnóstico preciso. Rev CES Med. [Internet]. 2020 [citado 17/05/2021];

34(1):64-73. Disponible en: http:// www.scielo.org.co/pdf/cesm/ v34n1/0120-8705-cesm-34-01-64. pdf

9. Comité Nacional de Infectología, Inmunología. GdTd. Consenso sobre actualización de inmunizaciones en pacientes con inmunodefciencias primarias. Arch Argent Pediatric. [Internet]. 2018 [citado 17/05/2021]; 116(Supl 2):S20-533. Disponible en: https://es.scribd.com/ document/396777073/ Consenso-Actualizacion-Inmunizaciones-en-InmunodeficienciasPrimarias-2018-SAP

10. Domínguez O, Giner MT, Alsina L, Martín MA, Lozano J, Plaza AM. Fenotipos clínicos asociados a la deficiencia selectiva de IgA: revisión de 330 casos y propuesta de un protocolo de seguimiento. An Pediatr. [Internet]. 2012 [citado 17/05/2021]; 76(5):261- 267. Disponible en: https://www. analesdepediatria. org/index. p h p ? p = rev i s t a & t i p o = p d f - s i m ple&pii=S1695403311005522

11. Caballero F, Benegas S, Giménez V, Granado E, Martínez de Cuellar C, Carpinelli MM, et al. Deficiencias de anticuerpos en niños y adolescentes con infecciones recurrentes y/o graves. Pediatr. (Asunción). [Internet]. 2018 [citado 17/05/2021]; 45(2):141-146. Disponible en: https://www.revistaspp.org/index. php/pediatria/article/view/453

12. Martén-Powell I, Castro-Castro B, Ferrer-Cosme B. Caracterización de pacientes con inmunodeficiencias primarias de la provincia Santiago de Cuba. Diciembre 2016. Informe preliminar. Rev. Cuba. de Hematol. Inmunol. y Hemoter. [Internet]. 2017 [citado 17/05/2021]; 36(2):1-7. Disponible en: http://www.revhematologia.sld.cu/index.php/hih/article/ download/754/587

13. Yazdani R, Latif A, Tabassomi F, Abolhassani H, Aziz G, Rezaei N, Aghamohammadi A. Clinical phenotype classification for selective immunoglobulin A deficiency. Expert Rev Clin Immunol. [Internet]. 2015 [citado 17/05/2021]; 11(11):1245-54. Disponible en: https://doi.org/10.1586/17446 66x.2015.1081565

14. Oliveira-Serra FA, De Mosca T, Santos de Menezes MC, Carvalho Neves FW. Manifestaciones clínicas de la deficiencia de IgA. Rev. Alerg. Méx Internet]. 2017 [citado 17/05/2021]; 64(1):34-39. Disponible en: http://www.scielo.org.mx/sciel o.php?script=sci_arttext&pid=S2448-91902017000100034

15. Borrero Tablada CM, Masó Zamora ME. Síndrome de kabuki y déficit selectivo de IgA: presentación de un caso. Multimed. [Internet]. 2019 [citado 17/05/2021]; 23(4):823-34.Disponible en: http: // scielo . sld . cu / scielo . php ? script = sci _ arttext&pid = S1028-4818201900040082

22 Revista Bioreview®

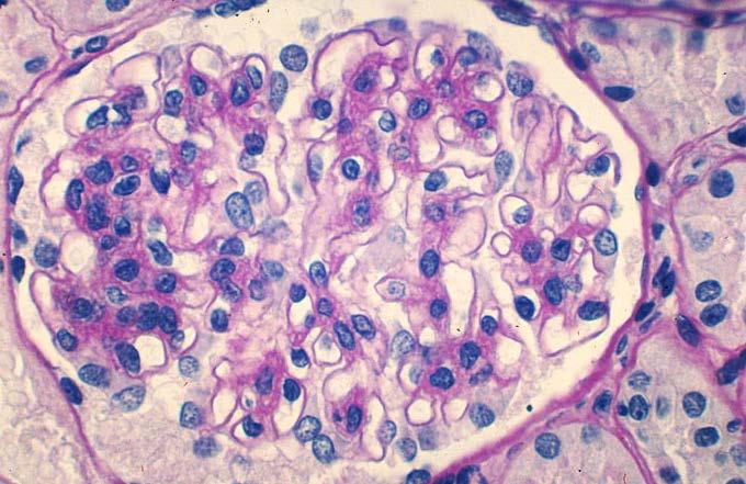
Nefropatía C1q: diagnóstico inusual de síndrome nefrótico en la infancia. Reporte de caso

CASO CLÍNICO

Aura Mearlyn Basabe Ochoa1 http://orcid.org/0000-0003-4172-3056

Avelina Victoria Troche Hermosilla1 http://orcid.org/0000-0002-2954-9836

Marlene Martínez Pico1 http://orcid.org/0000-0001-5769-0952

1Instituto de Previsión Social, Hospital Central “Dr. Emilio Cubas”, Servicio de Nefrología, Unidad de Nefrología Pediátrica. Asunción, Paraguay Revista del Nacional (Itauguá) - Print version ISSN 2072-8174 - Rev. Nac. (Itauguá) vol.12 no.2 Itauguá Dec. 2020 https://doi.org/10.18004/rdn2020.dic.02.124.129

Avda. Gral. Marcial Samaniego. Itauguá Guazú. Itauguá, Paraguay. Teléf. 595-294-321-450/4 - hn.biblioteca@gmail.com

Resumen

La nefropatía C1q es una glomerulopatía poco comprendida y subdiagnosticada. Se define por un patrón de inmunfluorescencia dominante o codominante de

positividad para C1q, con depósitos electrodensos en mesangio, en ausencia de serología y clínica de lupus eritematoso sistémico. Clínicamente se manifiesta con proteinuria severa o de rango nefrótico, en ocasiones hematuria e hipertensión arterial. Histoló -

24 Revista Bioreview®

gicamente presenta morfología variada. Usualmente se manifiesta como síndrome nefrótico corticodependiente o corticoresistente con mala respuesta al tratamiento inmunosupresor y evolución a la cronicidad. Se presenta el caso clínico de un niño diagnosticado con nefropatía C1q, a quien se indicó biopsia renal por cuadro de síndrome nefrótico corticorresistente, con serología negativa y ausencia de datos clínicos para lupus eritematoso sistémico. La intervención oportuna y el manejo temprano permiten enlentecer su evolución a la cronicidad.

Palabras clave: nefropatía C1q; síndrome nefrótico; proteinuria; hematuria

Abstract: C1q nephropathy: unusual diagnosis of nephrotic syndrome in childhood. Case report

C1q nephropathy is a poorly understood and underdiagnosed glomerulopathy. It is defined by a dominant or codominant immunfluorescence pattern of C1q positivity, with electrodense deposits in the mesangium, in the absence of serology and symptoms of systemic lupus erythematosus. Clinically, it manifests with severe proteinuria or nephrotic range, occasionally hematuria and arterial hypertension. Histologically it presents varied morphology. It usually manifests as a corticodependent or cortico-resistant nephrotic syndrome with poor response to immunosuppressive treatment and evolution to chronicity. We present the clinical case of a child diagnosed with C1q nephropathy, who underwent a renal biopsy due to corticosteroid-resistant nephrotic syndrome, with negative serology and absence of clinical data for systemic lupus erythematosus. Timely intervention and early management slow down its progression to chronicity.

Key words: C1q nephropathy; nephrotic syndrome; proteinuria; hematuria

Introducción

La nefropatía C1q (NC1q) es una glomerulopatía idiopática que habitualmente se presenta en niños y adultos jóvenes1. Es una entidad poco comprendida y subdiagnosticada, con muy baja prevalencia a nivel mundial que varía de 0.2 a 2.5 %, esta prevalencia aumenta en la población pediátrica, siendo de 2.1 a 6 %, y hasta16 % en niños con síndrome nefrótico2. Fue descripta por primera vez como una entidad clínico-patológica distinta en 1985, por Jenette y Hipp1 y se define histológicamente como un patrón de inmunfluorescencia dominante o codominante de positividad para C1q, con depósitos electrodensos en mesangio, en ausencia de serología y clínica de lupus

eritematoso sistémico (LES).

En la infancia, en el síndrome nefrótico primario, el hallazgo más frecuente en las biopsias renales es la enfermedad de cambios mínimos, y en los adultos, la nefropatía membranosa, aunque menos frecuentemente se puede encontrar glomeruloesclerosis focal y segmentaria o glomerulonefritis membrano proliferativa.

Clínicamente la NC1q se manifiesta con proteinuria severa o de rango nefrótico, y en ocasiones con hematuria e hipertensión arterial (HTA). Histológicamente presenta morfología variada, desde enfermedad de cambios mínimos hasta glomeruloesclerosis focal y segmentaria, siendo éste último el hallazgo más frecuente. Algunos autores la consideran como una enfermedad de transición entre los cambios mínimos y la glomerulosclerosis segmentaria y focal (GEFS)1,2. Usualmente se manifiesta como síndrome nefrótico corticodependiente o corticoresistente con mala respuesta al tratamiento inmunosupresor y evolución a la cronicidad. La combinación de glucocorticoides con ciclofosfamida, azatioprina, micofenolato mofetil, tacrolimus y rituximab también han mostrado resultados en algunos estudios6.

En este trabajo se describe el caso de un niño que presentó síndrome nefrótico corticorresistente, a quien se le diagnosticó NC1q mediante la biopsia renal y que presentó buena respuesta a la ciclosporina. Es importante considerar este diagnóstico en todo paciente con síndrome nefrótico resistente a los corticoides, a fin de dirigir el tratamiento según los hallazgos histológicos, de lo cual además dependerá su pronóstico.

Reporte de Caso

Paciente masculino de raza blanca que al diagnóstico presentaba 8 años. Procedente de San Lorenzo, con antecedentes de cirugía de liberación de sindactilia en ambas manos en 2010. En mayo de 2017 ingresa al servicio de urgencias de nuestro hospital. Presentó edemas, oliguria, dolor abdominal y vómitos. En el examen físico se constató deformidades en manos y pies (antecedente de cirugía de liberación de sindactilia en manos, y sindactilia en ambos pies), edema bipalpebral y en miembros inferiores, que dejó godet (++), cifras de presión arterial por encima del percentil 95 para edad. Eupneico, resto del examen físico sin alteraciones. Posterior-

25 Diagnóstico Clínico Aplicado Año XII · Número 140 · Abril 2023

mente al correlacionar con la analítica de laboratorio se realiza diagnóstico de síndrome nefrótico, HTA e insuficiencia renal aguda. El análisis de sangre reveló urea 66 mg/dL, creatinina 1,15 mg/ dL, colesterol total 298 mg/dL y triglicéridos de 172mg/dL, las proteínas totales 5.9 mg/dL y albúmina 3.9 mg/dL, la hemoglobina glicada fue normal. Las serologías para virus (VIH, virus de hepatitis B y C) fueron normales. El estudio inmunológico anticuerpo anti-nuclear (ANA), anticuerpo anti ADN (ANTI DNA), complementos, antiestreptolisina O (ASTO), dosaje de inmunoglobulina A (IgA) e inmunoglobulina G (IgG), anticuerpo anticitoplasma de los neutrófilos (ANCA) fueron normales. El sedimento urinario mostró proteínas +, leucocitos mayor a 30 por campo y hematíes mayor a 100 por campo. Presentó proteinuria de 24 horas de 2175 mg y su aclaramiento de creatinina fue de 74,37 mL / min/1,73 SC. En la ecografía renal se encontró ambos riñones de tamaño disminuido, con ecogenicidad aumentada, espesor conservado con relación cortico-medular disminuida. Se inició tratamiento con prednisona 60 mg día por 8 semanas persistiendo la proteinuria, por lo que se le administró 3 bolos de metilprednisolona sin respuesta al tratamiento. Se indicó biopsia renal que informó en la microscopía óptica, lesiones proliferativas segmentarias de hipercelularidad endocapilar con aumento de células mesangiales con esclerosis segmentaria con obliteración de luces capilares y fibrosis mesangial en ovillos. En la inmunofluorescencia (IF) presentó imágenes positivas de moderada intensidad de IgG y C1q (++) en mesangio, de intensidad leve (+) en asas capilares focales y segmentarias, todas granulares y de IgM e IgA + en mesangio, con C3 y fibrinógeno negativo. Ante ausencia de serología y clínica de LES, se diagnostica NC1q y se inició tratamiento endovenoso con ciclofosfamida 1 g/m 2 durante 6 meses, seguido de tratamiento de mantenimiento con micofenolato mofetil (MMF) 1g /día más prednisona por 8 meses, continuando sólo con MMF; la proteinuria (PTU) en ese momento fue de 477 mg/24 h. Al mes, presentó recaída con PTU de 2166 mg/24 h, por lo cual se intentó remisión aumentando dosis de MMF a 2 g/día y reiniciando prednisona a 60 mg/día, sin respuesta a las 8 semanas, por lo que se decidió iniciar ciclosporina 150 mg/m 2/día en 2 dosis, manteniendo un nivel sanguíneo entre 100 a 200 ng/mL, con lo cual presentó descenso progresivo de PTU. Se suspendió ciclosporina a los 16 meses de haber iniciado el tratamiento, manteniendo valores de proteinuria menores a 400 mg/día. Actualmente está en tratamiento sólo con enalapril 2.5 mg/día, y con valores de urea y creatinina mejorados en comparación con los valores que presentaba antes de iniciar tratamiento con ciclosporina. (Tabla 1).

Discusión

Para el diagnóstico de NC1q se requiere la presencia de C1q en el mesangio con una intensidad >2+ (en una escala de 0+ a 4+) en la microscopía de inmunofluorescencia o inmunohistoquímica, la que puede ser aislada o acompañarse de inmunoglobulinas u otras fracciones del complemento en forma codominante, además de

26 Revista Bioreview®
28 Revista Bioreview®
Tabla 1: Pruebas analíticas. Evolución en meses
29
Año XII · Número 140 · Abril 2023
Diagnóstico Clínico Aplicado

la presencia de depósitos densos mesangiales y/o paramesangiales en conjunto con alteraciones pedicelares significativas(4, 5, 7). En nuestro paciente se llegó al diagnóstico por los hallazgos histológicos, la ausencia de clínica y la serología negativa para LES.

Clínicamente la nefropatía C1q se presenta de forma variada, pudiéndose manifestar como hematuria macroscópica, síndrome nefrítico, síndrome nefrótico, insuficiencia renal aguda, insuficiencia renal crónica, glomerulonefritis rápidamente progresiva, síndrome urémico-hemolítico, vasculitis o hipertensión arterial7,8,9.

El tratamiento depende de la presentación clínica y de los hallazgos morfológicos en la biopsia renal. Algunos estudios sugieren que la nefropatía C1q es clínicamente más agresiva en comparación con otras glomerulopatías, y en mayor proporción en los pacientes corticorresistentes10. Los pacientes nefróticos con NC1q, si bien logran obtener la remisión con corticoides, presentan recaídas frecuentes, se hacen esteroides dependientes o resistentes, debiendo agregarse inmunosupresores como ciclofosfamida, ciclosporina, tacrolimus, micofenolato mofetil o rituximab, para mantener la remisión5,11. Nuestro paciente presentó evolución tórpida, por lo cual requirió varias de estas drogas inmunosupresoras para reducir las dosis de esteroides, respondiendo mejor a la ciclosporina. La limitación de este trabajo es que en nuestro país no contamos con microscopio electrónico, ni se realizan estudios genéticos, los cuáles serían sumamente necesarios para el diagnóstico en este tipo de pacientes.

Conclusión

Nuestro paciente presentó un síndrome nefrótico corticorresistente de evolución tórpida con las características histológicas de NC1q. Esta nefropatía es de difícil diagnóstico por su presentación clínica variable. La intervención oportuna y el manejo temprano permiten enlentecer su evolución a la cronicidad. Quedan aún por descubrir muchos aspectos de esta rara entidad, por lo que el tratamiento es un desafío por la falta de evidencia.

REFERENCIAS BIBLIOGRÁFICAS

2. Markowitz GS, Schwimmer JA, Stokes MB, Nasr S, Seigle RL, Valeri AM, et al. C1q nephropathy: a variant of focal segmental glomerulosclerosis. Kidney Int 2003;64(4);1232- 40

3. Vizjak A, Ferluga D, Rožič M , Hvala A, Lindič J, Kersnik Levart T, et al. Pathology, clinical presentations, and outcomes of C1q Nephropathy. J Am Soc Nephrol. 2008;19(11):2237-44.

4. Hisano S, Fukuma Y, Segawa Y, Niimi K, Kaku Y, Hatae K, et al. Clinico pathologic correlation and outcome of C1q nephropathy. Clin J Am Soc Nephrol 2008; 3(6): 1637- 43.

5. Wenderfer SE, Swinford RD, Braun MC. C1q nephropathy in the pediatric population: pathology and pathogenesis. Pediatr Nephrol 2010; 25(8): 1385-96.

6. Devasahayam J, Erode-Singaravelu G, Bhat Z, Oliver T, Chandran A, Zeng X, et al. C1q Nephropathy: The Unique Underrecognized Pathological Entity. Anal Cell Pathol (Amst). 2015;2015:490413. doi: 10.1155/2015/490413

7. Maliakkal JG, Liapis H, White AJ, Ahn S-Y. C1q nephropathy in the setting of granulomatosis with polyangiitistreated with tacrolimus. Clin Kidney J. 2014;7(5): 499-500. doi: 10.1093/ckj/sfu087

8. Kanodia KV, Vanikar AV, Shah PR, Kute VB, Feroz A, Suthar K, et al. C1q nephropathy with acute hemolytic uremic syndrome. Saudi J Kidney Dis Transpl. 2012; 23(3): 556-8.

9. Bhowmik DM, Jain S, Dinda AK, Sharma A, Mahajan S, Agarwal SK. C1q nephropathy presenting as nephritic-nephrotic syndrome. Saudi J Kidney Dis Transpl . 2011;22(3):561-563.

10. Gunasekara VN, Sebire NJ, Tullus K. C1q nephropathy in children: clinical characteristics and outcome. Pediatr Nephrol 2014;29(3):407-13.

11. Muorah M, Sinha MD, Horsfield C, O’Donnell PJ. C1q nephropathy: a true immune complex disease or an immunologic epiphenomenon? NDT Plus 2009; 2(4): 285-91. doi: 10.1093/ndtplus/sfp055.

Autor correspondiente: Aura Mearlyn Basabe Ochoa. Instituto de Previsión Social, Hospital Central “Dr. Emilio Cubas”, Servicio de Nefrología, Unidad de Nefrología Pediátrica. Asunción, Paraguay Correo electrónico:mearlyn@ yahoo.com

Basabe Ochoa AM: Conceptualización - Ideas, Conservación de datos, Investigación, Metodología, Administración de proyectos y recursos. Troche Hermosilla AV: Supervisión, validación, Redacción - revisión y edición. Martínez Pico M: Supervisión, validación, Redacción - revisión y edición

Creative Commons License Este es un artículo publicado en acceso abierto bajo una licencia Creative Commons

30 Revista Bioreview®
1. Jennette JC, Hipp CG. C1q nephropathy: a distinct pathologic entity usually causing nephrotic syndrome. Am J Kidney Dis 1985; 6: 103-110.
31 Año XII · Número 140 · Abril 2023

Lupus eritematoso sistémico e inmunodeficiencia común variable: dos caras de una misma moneda

CASO CLÍNICO

Astrid Paats1 http://orcid.org/0000-0002-3029-261X

Marcos Vázquez1 http://orcid.org/0000-0003-2623-0050

Isabel Acosta Colman1 http://orcid.org/0000-0001-7296-5950

1 Universidad Nacional de Asunción, Facultad de Ciencias Médicas, Hospital de Clínicas, Departamento de Reumatología. San Lorenzo, Paraguay Revista Paraguaya de Reumatología - On-line version ISSN 2413-4341 - Rev. parag. reumatol. vol.6 no.2 Asunción Dec. 2020 https://doi.org/10.18004/rpr/2020.06.02.85

Autor para correspondencia: (I. Acosta Colmán) Correo electrónico: dr.acostacolman@gmail.com

Este es un artículo publicado en acceso abierto bajo una licencia Creative Commons

Pitiantuta 613 esq. Juan de Salazar - Asunción, Paraguay - revista@spr.org.py

Resumen

La coexistencia de inmunodeficiencias primarias y enfermedades autoinmunes, aunque parezca contradictoria, puede darse en la práctica clínica. Estos casos plantean un

desafío terapéutico importante debido al riesgo de infección con el uso de terapia inmunosupresora. Reportamos el primer caso de LES, nefritis lúpica e inmunodeficiencia común variable tratado en forma exitosa con ciclofosfamida e inmunoglobulina endovenosa, sin complicaciones

32 Revista Bioreview®

infecciosas graves.

Palabras clave: lupus eritematoso sistémico; inmunodeficiencia común variable

Abstract: Systemic lupus erythematosus and variable common immunodeficiency: two sides of the same coin

The coexistence of primary immunodeficiencies and autoimmune diseases, although contradictory, may occur in clinical practice. These cases pose an important therapeutic challenge due to the risk of infection after immunosuppressive therapy. We report the first case of SLE, lupus nephritis and common variable immunodeficiency successfully treated with cyclophosphamide and intravenous immunoglobulin, without any severe infections.

Keywords: systemic lupus erythematosus; common variable immunodeficiency

Introducción

Las enfermedades autoinmunes se diagnostican en casi un cuarto de los pacientes con inmunodeficencia común variable y pueden ser la forma de presentación. La autoinmunidad es una manifestación de disregulación inmune, aunque los mecanismos específicos para esta susceptibilidad aumentada en la inmunodeficiencia común variable no se conocen.

Caso Clínico

Se presenta el caso de una paciente de 36 años, con antecedentes personales de 3 gestas sin complicaciones y de término, que fue diagnosticada de lupus eritematoso sistémico en el año 2009 por un cuadro de púrpura trombocitopénica autoinmune con ANA positivo, anti-DNA positivo y complementos consumidos. Inició tratamiento con corticosteroides y posteriormente azatioprina, que tuvo que retirarse por intolerancia gastrointestinal. Recibió rituximab en el 2010 con buena respuesta clínica que permitió la retirada completa de corticosteroides 4 meses después, quedando solo con hidroxicloroquina.

En noviembre de 2016, 6 años después de su diagnóstico, presenta brote articular durante su cuarto embarazo, por lo cual fue tratada con prednisona 30mg/d. Durante el embarazo presentó además sinusitis a repetición y un episodio de neumonía adquirida en la comunidad que requirió internación. La gestación culminó con éxito y el cuadro mejoró en el postparto, con disminución gradual de corticosteroides hasta suspender.

En noviembre de 2017, reapareció la artritis, desarrolló alopecia y fotosensibilidad y se agregó dolor de tipo pleurítico.

Se reinició prednisona 20mg/d. En diciembre de 2017, acude a control con mejoría clínica y se indica descenso gradual de corticosteroides. Debido a los datos clínicos de actividad del LES y a los antecedentes de múltiples infecciones de vías aéreas superiores e inferiores, se solicita dosaje de inmunoglobulinas en sangre y subpoblaciones linfocitarias por citometría de flujo (Tabla 1).

En abril del 2018, la paciente retornó con sus resultados y se realizó el diagnostico de inmunodeficiencia común variable y nefritis lúpica probable. No fue posible realizar una biopsia renal por motivos económicos. Se inició tratamiento para ambas patologías en forma concomitante. La paciente recibió 3 bolos de 500mg de metilprednisolona y quedó luego con prednisona 60mg/día con descenso gradual. Como fármaco de inducción, recibió 1g de ciclofosfamida en forma mensual durante 6 meses. Al mismo tiempo, recibió 2g/kp de inmunoglobulina humana endovenosa que fue pauta- do cada mes y profilaxis contra P. jirovecii. Durante el tratamiento de inducción, presentó una infección de vías aéreas superiores y una infección urinaria, que no revistieron gravedad.

Al año del inicio del tratamiento para la nefritis se encuentra con buena evolución, proteinuria menor a 300mg/24h, sedimento inactivo, DNA negativo y complementos en rango. Actualmente se encuentra con micofenolato de mofetilo como mantenimiento de la nefritis y con su pauta habitual de inmunoglobulinas. Se constató una disminución en la frecuencia de infecciones intercurrentes de forma significativa.

Discusión

La coexistencia de inmunodeficiencias primarias y enfermedades autoinmunes, aunque parezca contradictoria, puede darse en la práctica clínica. En un análisis retrospectivo de 870 pacientes con inmunodeficiencia común variable, se encontraron enfermedades autoinmunes reumatológicas en 5,9%. De estos, solo el 0,9% corresponde a LES1.

Existen asociaciones genéticas y causas comunes entre ambos grupos de enfermedades2. La inmunodeficiencia común variable parece resultar de una disregulación inmunológica no bien definida actualmente, que ocasiona una diferenciación defectuosa de las células B con disminución en la secreción de inmunoglobulinas3.

El rol de los inmunosupresores como posibles agentes etiológicos en la inmunodeficiencia común variable es controvertido. La mayoría de los pacientes reportados

33 Diagnóstico Clínico Aplicado Año XII · Número 140 · Abril 2023

EFEMÉRIDES ABRIL

01 | Día Argentino del Donante Voluntario de Médula Ósea

02 | Día Mundial de la Concienciación sobre el Autismo

07 | Día Mundial de la Salud

10 | Día Argentino del Investigador Científico

11 | Día Mundial de la Enfermedad de Parkinson

17 | Día Mundial de la Hemofilia

21 | Día Argentino de la Higiene y Seguridad en el Trabajo

22 al 29 | Semana de la Vacunación en las Américas

25 | Día Mundial del Paludismo

25 | Día Mundial del ADN

29 | Día Mundial de la Inmunología

Tabla 1 Valores de laboratorio al momento del diagnóstico y a los 4 meses de iniciado el tratamiento para nefritis lúpica e inmunodeficiencia común variable.

blancos

desarrolló hipogammaglobulinemia luego de recibir tratamiento inmunosupresores. En nuestro caso, la terapia con Rituximab concluyó 6 años antes del inicio de las manifestaciones clínicas y serológicas de la inmunodeficiencia, lo que descarta una posible asociación, dado que la hipogammaglobulinemia en pacientes con LES posterior a la administración de Rituximab se observa en menos del 10% a los 12 meses, y este porcentaje continúa en descenso en los meses siguientes4. Por otra parte, podría plantearse que la hipogammaglobulinemia haya sido secundaria a la proteinuria, como en el caso de Geneviève et al.5, sin embargo, nuestra paciente nunca alcanzó un rango nefrótico de proteinuria. Además, dosajes posteriores mostraron persistencia de la

hipogammaglobulinemia a pesar de la resolución de la proteinuria.

Se han reportado 19 casos de pacientes con lupus eritematoso sistémico e inmunodeficiencia común variable, de los cuales 18 corresponden a pacientes con LES que recibieron tratamiento con corticoides e inmunosupresores y desarrollaron hipogammaglobulinemia e infecciones a repetición luego de varios años de evolución del lupus(5, 6). En todos estos casos, el LES se encontraba inactivo o fue mejorando luego del diagnóstico de inmunodeficiencia común variable (y en muchos casos, del inicio del tratamiento con inmunoglobulina endovenosa), por lo que no hubo requerimiento de in-

35 Diagnóstico Clínico Aplicado Año XII · Número 140 · Abril 2023
Laboratorio Hemoglobina Hematocrito Recuento de glóbulos
Fórmula Plaquetas Creatinina antiDNA C3 C4 Orina simple, sedimento Proteinuria de 24hs IgG total IgM total IgA total Leucocitos Linfocitos CD4 CD8 Relación CD4/CD8 NK Abril 2018 12,3 36% 6100 N67% L32% 180000 0,7 (+) 1:20 60 13 2562mg/24hs 624 25 40 6200 1240 (20%) 273 (22%) 707 (57%) 0,39 99 (8%) Agosto 2018 (-) 99 29 99mg/24hs 588 16 13 Normal 88-165 14-44 30-300mg/24hs 700-1600mg/dL 40-230mg/dL 70-400mg/dL 1600-2400 (28-39%) 540-1660 (32-60%) 270-930 (13-40%) 0,9-4,5 60-590 (4-26%)
Revista Bioreview®

munosupresores para controlar las manifestaciones de la enfermedad. Encontramos solamente un reporte de caso en el cual la nefritis se desarrolló en forma concomitante al diagnóstico de hipogammaglobulinemia5, lo cual plantea un desafío terapéutico importante. En este caso, la conducta adoptada fue la de tratar al paciente en forma exclusiva con corticosteroides a dosis habituales para nefritis lúpica e inmunoglobulinas, sin fármacos inmunosupresores para inducción, por considerarse demasiado riesgoso. En nuestro caso, planteamos un manejo más agresivo por considerar a la nefritis como una manifestación grave y marcadora de pronóstico en el LES, sin descuidar la posibilidad de cuadros infecciosos, acompañando cada infusión de ciclofosfamida de la dosis correspondiente de inmunoglobulinas.

Reportamos el primer caso de LES, nefritis lúpica e inmunodeficiencia común variable tratado en forma exitosa con ciclofosfamida e inmunoglobulina endovenosa, sin complicaciones infecciosas graves.

Conclusión

Se presenta el caso por la asociación entre enfermedad autoinmune e inmunodeficiencia y la dificultad del manejo terapéutico cuando se requiere el uso de inmunosupresores en forma prolongada.

Conflictos de Interes: Los autores declaran no tener conflictos de interés en relación a este artículo.

REFERENCIAS BIBLIOGRÁFICAS

1. Gutierrez MJ, Sullivan KE, Fuleihan R, Bingham CO. Phenotypic characterization of patients with rheumatologic manifestations of common variable immunodeficiency. Semin Arthritis Rheum. 2018;48:318-26. https://doi.org/10.1016/j.semarthrit.2018.02.013

2 Schmidt RE, Grimbacher B, Witte T. Autoimmunity and primary immunodeficiency: two sides of the same coin?. Nat Rev Rheumatol. 2018;14:7-18. http:// dx.doi.org/10.1038/nrrheum.2017.198

3 Cunningham-RundLes C. Pathogenesis of common variable immunodeficiency. http://www. uptodate.com, accessed July 19, 2019.

4 Reddy V, Martínez L, Isenberg DA, Leandro MJ, Cambridge G. Pragmatic treatment of patients with Systemic Lupus Erythema- tosus with rituximab: long-term effects on serum immunoglobulins. Arthritis Care Res (Hoboken). 2017;69:857-66. https://doi.org/10.1002/acr.22993

5 Geneviéve M, Bonnet F, Michaux C, Geffroy CE, Vandenhende MA, Combe C, et al. Néphropathie lupique liée à un déficit immunitaire commun variable d’évolution favorable sous immu- noglobulines intraveineuses. Rev Med Interne 2012; 33:31-3. https://doi.org/10.1016/j.revmed.2011.05.002

6 Fernández-Castro M, Mellor-Pita S, Citores MJ, Muñoz P, Tutor- Ureta P, Silva L, et al. Common variable immunodeficiency in systemic lupus erythematosus. Semin Arthritis Rheum . 2007;36:238-45 https://doi.org/10.1016/j.semarthrit.2006.09.005

37 Diagnóstico
Año XII · Número 140 · Abril 2023
Clínico Aplicado

Clima organizacional en el Policlínico “Dr. Mario Muñoz Monroy”

INVESTIGACIÓN

Mildrey Sánchez González 1 - http://orcid.org/0000-0002-3204-9779

Alina María Segredo Pérez † 2 - María F. Casanova González 3 * http://orcid.org/0000-0002-7690-3762

1Universidad de Ciencias Médicas de Cienfuegos, Policlínico Universitario “Dr. Mario Muñoz Monroy”. Municipio de Abreus, Cienfuegos, Cuba.

2Escuela Nacional de Salud Pública. La Habana, Cuba.

3Universidad de Ciencias Médicas de Cienfuegos, Departamento de Neurofisiología Clínica, Hospital Pediátrico Universitario “Paquito González Cueto”. Cienfuegos, Cuba.

Revista Cubana de Salud Pública - versión impresa ISSN 0864-3466versión On-line ISSN 1561-3127

Rev Cub Sal Públ vol.48 no.3 La Habana jul.-set. 2022 Epub 01-Sep-2022

Resumen

Introducción: La calidad en la administración y en los servicios se determina por el uso eficiente de los recursos y por su organización.

Objetivo: Proponer acciones que permitan mejorar el

clima organizacional del Policlínico Universitario “Dr. Mario Muñoz Monroy” del municipio Abreus.

Métodos: Se realizó una investigación descriptiva en el período de julio a septiembre de 2015. El universo estuvo constituido por los 141 trabajadores pertenecientes al policlínico. Se realizó un muestreo estratificado de

38 Revista Bioreview®

forma bietápica probabilística. La muestra quedó conformada por prestadores (37) y personal de apoyo (13). Se trabajaron tres dimensiones con sus categorías: comportamiento organizacional (motivación, comunicación y relaciones interpersonales y de trabajo); estructura organizacional (funcionamiento, condiciones de trabajo y estímulo al desarrollo organizacional) y la dimensión estilo de dirección con sus categorías (liderazgo, participación, solución de conflictos y trabajo en equipo).

Resultados: Se propusieron un total de 58 acciones en las siguientes direcciones: participación de los trabajadores en la gestión de la calidad de los servicios que se ofrecen y en la toma de decisiones para lograr servicios de excelencia, reconocimiento por la labor desarrollada, el mejoramiento de las condiciones de trabajo, garantía de la superación, información y promoción y el desarrollo de actividades políticas, culturales y recreativas.

Conclusiones: El sistema de acciones propuesto constituye un referente teórico de valor para la planificación, organización, dirección y control de estrategias institucionales.

Palabras clave: diagnóstico organizacional; clima organizacional

Abstract: Organization Climate in Dr. Mario Muñoz Monroy Polyclinic

Introduction: Management and service quality is determined by an efficient use of resources and by their organization.

Objective: To propose actions that allow to improve the organizational climate of Dr. Mario Muñoz Monroy University Polyclinic (Abreus Municipality, Cienfuegos Province, Cuba).

Methods: A descriptive research was carried out in the period from July to September 2015. The study universe was made up of the 141 workers belonging to the polyclinic. A stratified two-stage probabilistic sampling approach was used. The sample consisted of providers (37) and support staff (13). Three dimensions and their categories were used: organizational characteristics (motivation, communication, as well as interpersonal and work relationships), organizational structure (functioning, working conditions and stimulus to organizational development), and the management style dimension (leadership, involvement, conflict resolution and teamwork).

Results: A total of 58 actions were proposed upon the base of the following guidelines: participation of workers in quality management for the provided services and in decision-making to achieve services of excellence, acknowledgement for their performed work, improvement

of working conditions, guaranteed professional upgrading, information and promotion, and the development of political, cultural and recreational activities.

Conclusions: The proposed system of actions is a valuable theoretical referent for the planning, organization, direction and control of institutional strategies.

Keywords: organizational diagnosis; organization climate

Introducción

La calidad en la administración y en los servicios se determina, entre otros, por el uso eficiente de los recursos, la reducción de los costos, la adecuada organización de la red de servicios y el grado de participación y satisfacción de los usuarios. De ahí la importancia de conocer el clima organizacional, como fenómeno que puede impactar significativamente en los resultados de la institución.1

El clima organizacional se considera un filtro por el cual pasan los fenómenos objetivos de una organización, que al ser percibidos por los individuos que la integran, generan un determinado ambiente que repercute sobre las motivaciones, el comportamiento y obviamente, suscita disímiles consecuencias a la organización. Por esa razón su estudio es muy utilizado como un factor que refleja el acontecer de una organización, las facilidades y obstáculos que encuentra el trabajador para actuar y desempeñarse en el contexto laboral.1,2

La medición del clima organizacional constituye un elemento esencial en la gestión del cambio para el desarrollo de la organización, y es esencial en el sector de la salud pública para alcanzar una mayor eficiencia, condición indispensable en el mundo actual, que se caracteriza por una intensa competencia en el ámbito nacional e internacional.3,4) De esta manera, la administración de la organización conlleva el diseño de ambientes propicios para que todos sus miembros trabajen de manera conjunta para alcanzar la misión y los objetivos de la institución, hacia los cuales se encaminan las funciones básicas ejercidas por su dirección. En este contexto, un clima organizacional estable, es una inversión a largo plazo, los directivos de las organizaciones se deben percatar de que el ambiente forma parte del activo de la institución y como tal, se debe valorar y prestar la debida atención.1

A su vez, el diagnóstico organizacional constituye una fase necesaria de los programas de desarrollo de las

39 Gestión de la Calidad Año XII · Número 140 · Abril 2023

organizaciones laborales. Consiste en una descripción detallada del estado actual del sistema organizativo y la dinámica de su posible desarrollo, refleja problemas, insuficiencias, virtudes, cualidades, en fin, fortalezas a aprovechar por el equipo de dirección y debilidades a superar. La fase de diagnóstico resulta el punto de partida necesario para proyectar el camino a seguir para lograr los objetivos que se propone la institución. De este modo las acciones a seguir deben estar planificadas sobre la base de las fortalezas y debilidades identificadas, donde los resultados de la medición del clima organizacional aportan información valiosa para la adecuada toma de decisiones.4,5

El policlínico, objeto de estudio, constituye un sistema complejo de gestión encaminado a la búsqueda del mejoramiento sistemático de los servicios. Todo esto trae consigo cambios constantes que a su vez conllevan a su resistencia y un clima organizacional que no siempre resulta el adecuado para el logro de los objetivos de la organización.

El presente estudio pretende aportar información valiosa sobre bases científicas para la toma de decisiones de la alta gerencia del policlínico. Ante la necesidad de mantener un perfeccionamiento continuo en los procesos de gestión dirigidos a elevar la calidad y eficiencia de los servicios que presta el personal que trabaja directamente con los pacientes. De ahí que el estudio tuviera como objetivo proponer acciones que permitan mejorar el clima organizacional del Policlínico Universitario “Dr. Mario Muñoz Monroy”.

Métodos

Se realizó una investigación descriptiva en sistemas y servicios de salud, en el periodo de julio a septiembre de 2015. El universo estuvo constituido por los 141 trabajadores pertenecientes al Policlínico Universitario

“Dr. Mario Muñoz Monroy” del municipio Abreus, en la Provincia de Cienfuegos. Para la selección de la muestra se utilizó el muestreo estratificado realizado de forma bietápica probabilística.

En un primer momento se seleccionó el universo de cada estrato según la unidad organizativa a la que pertenece el trabajador, de acuerdo con su función en relación con la atención a los pacientes:

• prestadores: personal que está directamente vinculado a la atención en los diferentes servicios asistencia-

les que ofrece el policlínico (105 trabajadores);

• personal de apoyo: personal que labora en los procesos de apoyo en los diferentes departamentos administrativos de la institución (36 trabajadores).

En un segundo momento se seleccionó la muestra mediante el método aleatorio simple, donde fue enumerado cada trabajador y posteriormente se seleccionaron al azar 50. La muestra quedó conformada según los dos estratos de funcionamiento del policlínico: prestadores (37 trabajadores) y personal de apoyo (13 trabajadores), lo que representó el 35 % del universo y de cada estrato. Para lo cual se tuvo como criterio de inclusión: estar laborando en el policlínico por más de seis meses y que estuvieran de acuerdo en cooperar con la investigación.

Los métodos teóricos del conocimiento empleados revelaron las relaciones esenciales del objeto de investigación, los cuales son fundamentales para la comprensión de los hechos. Esto permitió el análisis documental para el estudio de la plantilla de personal y obtener información acerca de las plazas ocupadas y disponibles según unidad organizativa. Para ello se realizó el análisis del sistema organizativo del policlínico a través de la revisión en el departamento de recursos humanos de los documentos referidos a la plantilla ocupacional, así como de su plan estratégico para conocer la misión, visión y objetivos de la institución y las fuerzas internas y externas actuantes.

Se revisó además la bibliografía especializada de resoluciones e indicaciones metodológicas que norman el proceso de la organización, estudios de clima organizacional anteriores, lo que permitió organizar los datos en relación a la metodología a emplear.6,7,8,9 Esto accedió a consolidar el trabajo en las diferentes etapas de la investigación, lo que brindó el camino para el esclarecimiento de los resultados y su fundamentación en función de describir el clima organizacional en el policlínico.

Para el diseño de la propuesta de sistema de acciones se tuvo en cuenta los resultados del instrumento aplicado en la evaluación del clima organizacional, el cual fue validado en el año 2015 por Segredo Pérez.8) A partir de estos resultados se propusieron las acciones, donde sus prioridades estuvieron determinada por su interpretación y lo que el trabajador percibía como necesidades principales.

En la evaluación del clima organizacional se estudiaron 10 categorías agrupadas en tres dimensiones (Cuadro).

40 Revista Bioreview®

Cuadro. Categorías y dimensiones

Dimensión

Comportamiento organizacional

Categoría

Motivación

Comunicación

Relaciones interpersonales y de trabajo

Estructura organizacional

Funcionamiento

Condiciones de trabajo

Estímulo al desarrollo organizacional

Estilo de dirección

Liderazgo

Participación

Solución de conflictos

Trabajo en equipo

Asimismo, se calculó el promedio de los puntos obtenidos por respuestas de los cinco incisos que tributaban a cada categoría, el promedio total se correspondió con el total de la categoría.

Para la clasificación del clima organizacional, se aplicó una escala ordinal donde:

• adecuado: 6 o más de promedio;

• en riesgo: 4 a 5,9;

• inadecuado: menos de 4.

Las acciones elaboradas fueron direccionadas según las dimensiones estudiadas, a nivel estructural, de comportamiento y de estilos de dirección.

Para el desarrollo del estudio se solicitó consentimiento a la dirección de la institución y se garantizó en todo momento el anonimato. Se contó con la disposición a participar de todos los que intervinieron y se les explicó previamente los objetivos del ejercicio, su propósito y alcance.

Resultados

Sistema organizativo del policlínico

El Policlínico Universitario “Dr. Mario Muñoz Monroy” tenía bien definidas en sus documentos estratégicos su misión y visión.

Misión: planificar, dirigir y controlar las acciones de pro-

gramación, prevención, curación y rehabilitación, con el objetivo de mejorar el estado de salud de la población a través de una prestación de servicio de excelencia y con un enfoque de riesgo en el abordaje de los problemas de salud del individuo, la familia y la comunidad.

Visión: ser centro de excelencia, comprometido a ofrecer una atención integral de salud y formar el capital humano, con alto nivel científico-técnico y alcanzar la satisfacción de la población y de sus trabajadores.

Valores compartidos: lealtad a los principios de la Revolución, moral, ética médica socialista, responsabilidad, profesionalidad, internacionalismo y solidaridad.

Valores deseados: humanidad, disciplina, consagración, abnegación, liderazgo, desinterés y modestia, honestidad y honradez, sentido de la crítica y autocrítica, iniciativa y creatividad.

Las fuerzas internas y externas actuantes identificadas en el policlínico fueron:

• Debilidades: inadecuado abordaje de los problemas sobre la base del análisis de la situación de salud (ASIS), dificultades en el control de la salud ambiental, deficiencia en la capacitación de los recursos humanos y escasa gestión administrativa.

• Amenazas: entre las principales amenazas para el buen funcionamiento de la institución se encontró la

42 Revista Bioreview®

presencia de estilos de vida insanos y poca responsabilidad de las personas con su salud e inadecuado desarrollo de la intersectorialidad.

• Fortalezas: acreditación docente, obra civil con calidad, capacidad de respuesta del sistema ante situaciones excepcionales, equipo de dirección joven con voluntad política y disposición para el cambio, así como recursos humanos calificados y comprometidos con la institución.

• Oportunidades: estrategia del Ministerio de Salud Pública (Minsap) para revitalizar la atención primaria de salud (APS), índice del desarrollo humano del territorio adecuado, confianza en la prioridad de la Revolución de la salud pública, existencia del movimiento de ciencia y técnica.

Estructuralmente se encontró que los recursos humanos se organizaban según las categorías siguientes: personal asistencial, administrativo y de servicio, liderados por un director, un subdirector de asistencia médica, un subdirector de higiene y epidemiología y un administrador. Prestaba hasta el momento del estudio 18 servicios, contaba con 6 departamentos y una biblioteca.

La estructura física del policlínico se encontraba en buenas condiciones, ya que este había sido remodelado en el año 2012. Los locales contaban con adecuada ventilación, iluminación y equipamiento, excepto la biblioteca que adolecía de las condiciones necesarias para su misión.

Además, contaba con un equipo de dirección joven, con un promedio de edad de 37 años, especialistas en Medicina General Integral, con buena disposición al cambio y voluntad política, lo que constituía una fortaleza.

Respecto a los recursos humanos, del total de plantilla cubierta (196 trabajadores) laboraban en el momento de realizar esta investigación 141, lo que representaba el 71,9 % de los trabajadores. Las causas encontradas fueron: misión internacionalista, licencias de maternidad y sin sueldo, prestaciones de servicios a otras instituciones y certificados médicos.

Dentro de las facilidades con las que contaban los trabajadores del policlínico se encontró que tenían con un comedor con condiciones higiénico-sanitarias favorables.

43 Gestión de la Calidad Año XII · Número 140 · Abril 2023

En relación con la evaluación del clima organizacional (Fig.), los promedios alcanzados en las dimensiones de clima organizacional para ambos estratos calificaron como en riesgo. Se puede apreciar una discreta diferencia entre los promedios del estrato prestadores (5,7) y el del personal de apoyo (5,0), donde la dimensión estructura organizacional para ambos estratos, obtuvo el valor más bajo y la dimensión comportamiento organizacional enunció la cuantía más alta, donde sobresalió el estrato “prestadores” con 5,8 de promedio. Debe señalarse que no existieron diferencias significativas en los promedios analizados en las categorías exploradas por dimensiones de manera comparativa según estratos, tanto en prestadores como en personal de apoyo, ya que hubo predominio de percepciones por los trabajadores que permitieron clasificar al clima organizacional en riesgo.

De forma particular, se encontró que en el estrato personal de apoyo nueve categorías clasificaron como clima en riesgo, mientras condiciones de trabajo calificó como clima inadecuado. Por su parte el estrato prestadores evaluó las categorías: motivación, funcionamiento, estímulo al desarrollo organizacional y liderazgo con promedio entre 6,4 y 6,0, por lo fue considerado cli-

ma adecuado. Las restantes seis categorías clasificaron como clima en riesgo por obtener resultados entre 4 a 5,9 como promedio, según la escala ordinal establecida para este fin (Tabla).

Sistemas de acciones dirigidas al mejoramiento del clima organizacional del policlínico

Las tres dimensiones estudiadas según el instrumento utilizado, clasificaron como clima organizacional en riesgo. A partir de estos resultados se diseñó el sistema de acciones según los nudos críticos que se encontraron en cada categoría, a nivel estructural, de comportamiento o de estilo de dirección.

Por ello, se propuso un total de 58 acciones que ofrecían un oportuno uso de los estímulos morales que, conjuntamente con el mejoramiento de las condiciones de trabajo, lograrían un tratamiento integral, y por demás factible. La propuesta tuvo en cuenta las siguientes direcciones:

1. Participación de los trabajadores en la gestión de la calidad de los servicios que se presta y en la toma de decisiones para lograr servicios de excelencia.

44 Revista Bioreview® Conocé la agenda de cursos 2023 Y revisa nuestras ediciones!

Figura. Valor promedio en las dimensiones de clima organizacional según estratos.

Marcadores Cardíacos

IF 1001-Troponina Cardiaca I (cTnI)

IF 1002 CK-MB

IF 1003 CK-MB/cTnI/Mioglobina

IF 1004-CK-MB/cTnI/H-FABP

IF 1005-CK-MB/cTnI

IF 1006-hs-cTnI-Alta sensibilidad

IF 1007-NT-proBNP (péptido natriurético B)

IF 1008-H-FABP

IF 1009-TnT

IF 1101-IL-6 Fast

IF 1102-PCT/CRP

IF 1103-hs-CRP+CRP

IF 1104-PCT

Analizador Point of Care Resultados cuantitativos en minutos MARCADORES CARDÍACOS-HEMATOLÓGICOS E INFLAMATORIOS

45 Gestión de la Calidad Año XII · Número 140 · Abril 2023 (0223) 4783900 • +54 9 22 3540 4766 • ventas@iacinternacional.com.ar • iacinternacional.com.ar
renal
Hemostasia
IF 1201-D-Dimer Función
IF1301-CysC Marcadores Inflamación
Inmunocromatografía lateral fluorescente
8 7 6 5 4 3 2 1 0 Comportamiento organizacional Estructura organizacional Estilo de dirección Estrato prestadores Estrato personal de apoyo 5,8 5,5 5,6 4,7 5,7 5,0

Tabla. Valor promedio de las categorías del clima organizacional por dimensiones según estratos

2. Reconocimiento por la labor desarrollada.

3. Mejoramiento de las condiciones de trabajo.

4. Proporcionar la superación, información y promoción.

5. Desarrollar actividades políticas, culturales y recreativas.

Los objetivos del sistema de acciones estuvieron dirigidos a:

• Promover un estilo de dirección encaminado a la participación de los trabajadores en la gestión de los servicios de calidad, así como el sentido de pertenencia.

46 Revista Bioreview®
Dimensiones Comportamiento organizacional Estructura organizacional Estilo de dirección Categorías Motivación Comunicación Relaciones interpersonales y de trabajo Funcionamiento Condiciones de trabajo Estímulo al
organizacional Liderazgo Participación Solución de conflictos Trabajo en equipo 6,4 5,5 5,5 6,3 4,6 6,0 6,1 5,5 5,5 5,8 5,6 5,6 5,5 5,9 3,8 4,4 5,1 4,9 4,9 5,4 Prestadores Personal de apoyo Valor promedio por estratos
desarrollo

• Diseñar un sistema de acciones que permitan motivar, mediante el reconocimiento moral, el desarrollo de un desempeño laboral con alta productividad y eficiencia, individual y colectiva.

• Accionar en la atención al hombre para promover la superación obrera y profesional, como parte de los incentivos que estimulan al alto desempeño.

• Propiciar el desarrollo de actividades de todo tipo encaminadas a la atención y estimulación de trabajadores, jóvenes, embarazadas y jubilados.

Acciones propuestas según dirección

• Dirección I: se refiere a la participación de los trabajadores en la gestión de la calidad de los servicios que se presta y en la toma de decisiones, esto permite que se tengan en cuenta los criterios y opiniones de los trabajadores, lo cual garantiza su reconocimiento como ente participativo dentro de la organización. Para ello se diseñaron 17 acciones encaminadas al fortalecimiento de la labor sindical del centro, al adecuado uso de los recursos materiales y financieros, a lograr un incremento de la gestión de la calidad de los servicios y al fortalecimiento del trabajo político e ideológico del colectivo laboral.

• Dirección II: estaba encaminada al reconocimiento por la labor desarrollada de los trabajadores, lo que constituye uno de los elementos primordiales en la motivación y satisfacción de los trabajadores y los colectivos laborales. Se propusieron 14 acciones.

• Dirección III: representa acciones para el mejoramiento de las condiciones de trabajo, categoría con resultados más inadecuados según la percepción de los trabajadores. De ahí que se propusiera implementar 11 acciones que influyeran de manera positiva en la motivación del trabajador, además de revertirse de un alto desempeño de la labor que realizan.

• Dirección IV: proporcionar la superación, información y promoción en el policlínico, incluyó siete acciones necesarias para trabajar por elevar la cultura técnica y profesional en los trabajadores.

• Dirección V: desarrollar actividades políticas, culturales, y recreativas que conviertan a la institución en un medio de extensión de la vida sociopolítica del individuo, elevando las espiritualidades de cada miembro de la organización. Consolidar principios éticos y profesionales que contribuyan al logro de una cultura basada en valores. Se propusieron nueve acciones.

47 Gestión de la Calidad Año XII · Número 140 · Abril 2023

140 EDICIONES

Y MÁS DE 12 AÑOS JUNTOS

VISITANOS EN ISSUU.COM
ENPIONEROS ISSUU

Se estableció que las acciones propuestas fueran sometidas anualmente a revisión y de ser necesario incluir nuevas acciones, previo análisis y aprobación de la administración y el sindicato (Anexo).

Discusión

Como se evidencia en los resultados el clima organizacional percibido por los trabajadores se clasifica en riesgo, donde la dimensión estructura organizacional, en el estrato personal de apoyo, se señala como la de mayor dificultad. Esto indica que la muestra estudiada percibe una política con pobre interés por el mantenimiento y desarrollo de un ambiente de trabajo grato. Esto se debe a que perciben de inadecuadas las condiciones ambientales, físicas y psicosociales en que realizan sus labores, así como la calidad y cantidad de los recursos que se suministran para el cumplimiento de las funciones asignadas, esto coincide con otros estudios realizados a nivel nacional e internacional.2,3,10,11,12

Las organizaciones están integradas por seres humanos y por las relaciones que conforman los diferentes elementos o subsistemas donde destacan los cuatro tipos de recursos: los humanos, los materiales, los financieros y la información. Estos subsistemas interrelacionados entre

sí y con otros, como los de autoridad, decisiones, participación, control y comunicación; constituyen su tejido estructural.13,14) Cuando la adecuación de estas condiciones no se cumple, se produce insatisfacción en el trabajador, lo que incide en bajos niveles de desempeño y en la calidad de los servicios, resultados que coinciden con otras investigaciones desarrolladas.10,15,16

Para la salud pública, una tarea de primer orden es asumir que uno de los más importantes campos de acción aplicados es el que tiene que ver con los problemas de salud. Además, comprender la naturaleza actual de esa problemática, y desarrollar los enfoques, la tecnología y los recursos humanos necesarios que le permitan disponer de las herramientas propicias para aportar las contribuciones que hoy resulta necesario hacer en este ámbito, Estos son aspectos fundamentales que deben tener presentes los directivos de las instituciones de salud.17,18,19

Los recursos materiales son la fuente de la vida. Los recursos financieros, el motor impulsor del desarrollo. El recurso tiempo, factor vital, que no se recupera y que tiene que ser utilizado de forma racional y oportuna. Pero los recursos humanos, es lo más importante, lo más trascendental, lo más sensible. Es la célula vital del

49 Gestión de la Calidad Año XII · Número 140 · Abril 2023

desarrollo, si se utiliza correctamente, y existe una motivación como motor impulsor de todas las actividades productivas, políticas y sociales, se logran resultados organizacionales superiores, al elevar la autoestima a un nivel más alto, la capacidad de producir u ofrecer servicios se multiplica increíblemente, pues todos los factores psicológicos del hombre se reflejan positivos y crece su nivel de satisfacción espiritual, agradecimientos, comprometimiento con la producción, los servicios y con las tareas cotidianas que una entidad laboral enfrenta en todo momento.1,20

Por ello, un oportuno uso de los estímulos morales y materiales juega un papel importante en el tratamiento de los recursos humanos en la organización, que no se pueden ver por partes aisladas ya que el hombre es un todo indivisible. De ahí que deban recibir un tratamiento integral, encaminado al aumento de su productividad y su autoestima. Se debe trabajar intensamente por desarrollar y ejecutar en la práctica todo lo que sea posible y factible.

Al realizar un análisis crítico de los resultados de este estudio se considera que su mayor aporte es la posibilidad de su desarrollo continuo. Por lo que se puede concluir que el Policlínico Universitario “Mario Muñoz Monroy” del municipio Abreus se encuentra organizado según lo establecido en el Reglamento General de los Policlínicos en Cuba y el clima organizacional según la percepción de los trabajadores es evaluado en riesgo, para ambos estratos de estudio. El sistema de acciones propuesto para mejorar el clima organizacional, según los problemas identificados, constituye un referente teórico de valor para la planificación, organización, dirección y control de las estrategias de trabajo.

REFERENCIAS BIBLIOGRÁFICAS

scielo.php?pid=S0864-21412011000300004&script=sci_arttext&tlng=pt

4. Segredo Pérez AM. Clima organizacional en la gestión del cambio para el desarrollo de la organización. Rev Cub Sal Públ. 2013 [acceso 12/05/2016];39(2):385-93. Disponible en: http://scieloprueba.sld.cu/scielo. php?script=sci_arttext&pid=S0864-34662013000200017&lng=es&nrm=iso [

5. Alonso Álvarez A. Estudio de Casos, selección de lecturas. La Habana: Félix Varela; 2006. p. 122.

6. Ministerio de Salud Pública. Manual para la organización y funcionamiento del Policlínico. Dirección Nacional de Atención Primaria de Salud. La Habana: Minsap; 2008.

7. Ministerio de Salud Pública. Reglamento General del Policlínico. La Habana: Minsap; 2008.

8. Segredo Pérez AM, Pérez Piñero J, López Puig P. Construcción y validación de un instrumento para evaluar el clima organizacional en el ámbito de la salud pública. Rev Cub Sal Públ. 2015 [acceso 17/05/2016];41(4). Disponible en: http:// www.revsaludpublica.sld.cu/index.php/spu/article/view/513/376

9. Piña Loyola CN. Caracterización del Clima Organizacional del Policlínico Universitario “Cecilio Ruiz de Zárate”. Cienfuegos. [Tesis]. [La Habana]: ENSAP; 2007.

10. Rigñack Ramírez Ll, Segredo Pérez AM, Perdomo Victoria I, Pérez Piñero J. Evaluación del Clima organizacional en el Vicedecanato Docente. Facultad de Ciencias Médicas “10 de Octubre”, 2013. [Tesis]. [La Habana]: Escuela Nacional de Salud Pública; 2014.

11. Fernández Argüelles R, Cobos Díaz PA, Figueroa Varela MR. Evaluación del clima organizacional en un centro de rehabilitación y educación especial. Rev Cub Sal Públ. 2015 [acceso 08/09/2016];41(4). Disponible en: http://scielo.sld.cu/ scielo.php?script=sci_arttext&pid=S0864-34662015000400003&lng=es

12. Cuadra Peralta AA, Fuentes Soto LK, MadueñoSozaII D; VelosoBesio CB, Bustos Meneses Y. Mejorando clima organizacional y de aula, satisfacción vital y laboral. Fractal, Rev. Psicol Rio de Janeiro. 2012;24(1):11-9.

2.

Pérez AM. Caracterización de Sistema de Dirección en la Atención Primaria de Salud. Rev Cub Sal Públ. 2009 [acceso 02/06/2016];35(4):78-

109. Disponible en: http://scielo.sld.cu/scielo.php?pid=S086434662009000400009&script=sci_arttext&tlng=en

3. Segredo Pérez AM, Días Rojas PA. Clima organizacional en la gestión del coordinador docente de estado en la Misión Médica Cubana. Educ Med Super. 2011 [acceso 02/06/2016];25(3):255-74. Disponible en: http://scielo.sld.cu/

13. Segredo Pérez AM, García Milian AJ, López Puig P, León Cabrera P, Perdomo Victoria I. Enfoque sistémico del clima organizacional y su aplicación en Salud Pública. Rev. Cub Sal Públ. 2015 [acceso 24/04/2015];41(1). Disponible en: http://scieloprueba.sld.cu/scielo.php?script=sci_arttext&pid=S086434662015000100010&lng=es

14. Calves Hernández S. Capítulo 10: El comportamiento en la gestión de la administración pública. En: Escuela Superior de Cuadro del Estado y Gobierno. Diplomado en Administración

15. Segredo Pérez AM, Rigñack Ramírez Ll, García Nieblas RM, Perdomo Victoria I, León Cabrera P, García Milian AJ. Evaluación del clima organizacional en

50 Revista Bioreview®
1. Sánchez González M, Segredo Pérez AM, Casanova González MF. Propuesta de acciones para el mejoramiento del clima organizacional en el Policlínico “Dr. Mario Muñoz Monroy”. Abreus. [Tesis]. [Cienfuegos]: ENSAP; 2015. Segredo

instituciones docentes de la Universidad de Ciencias Médicas de La Habana. Educación Médica Superior. 2014 [acceso 02/06/2016];29(3). Disponible en: http://www.ems.sld.cu/index.php/ems/article/view/561

16. Pérez Perea L, Soler Cárdenas SF, Díaz Hernández L. Ambiente Laboral en los policlínicos universitarios. Educación Médica Superior. 2009 [acceso 09/03/2010];23(2). Disponible en: http://scielo.sld.cu/scielo.php?script=sci_ arttext&pid=S0864-21412009000200004&lng=es&nrm=iso&tlng=es

17. Morales Calatayud F. Psicología de la Salud. 1 ed. Ciudad de la Habana: Científico T &; 1999.

18. Castell-Florit Serrate P. Saber qué hacer en la dirección de la Salud Pública. La Habana: Editorial Política; 2013.

19. Segredo Pérez AM. Desarrollo organizacional. Una mirada desde el ámbito académico. Educación Médica. 2016 [acceso 12/05/2016];17(1):3-8. Disponible en: http://www.sciencedirect.com/science/article/pii/S1575181315000212

20. Gutiérrez Castillo O. Capítulo 2: La administración pública cubana en el proceso actual de transformaciones. En: Escuela Superior de Cuadro del Estado y Gobierno. Diplomado en Administración Pública. Problemas de la Gestión en la

Administración Pública. La Habana: ESCEG; 2013.p.13-21.

*Autor para la correspondencia: neurofisiologia@hosped.cfg.sld.cu

Los autores declaran que no existe conflicto de intereses.

Conceptualización: Mildrey Sánchez González, Alina María Segredo Pérez, María F. Casanova González.

Curación de datos: María F. Casanova González.Análisis formal: Mildrey Sánchez González, María F. Casanova González. Investigación: Mildrey Sánchez González. Metodología: Alina María Segredo Pérez, María F. Casanova González. Administración de proyecto: Mildrey Sánchez González. Recursos: Mildrey Sánchez González. Supervisión: María F. Casanova González.

Validación: Alina María Segredo Pérez. Visualización: Mildrey Sánchez González, Alina María Segredo Pérez, María F. Casanova González. Redacción - borrador original: Alina María Segredo Pérez. Redacción - revisión y edición: María F. Casanova González.

Creative Commons License Este es un artículo publicado en acceso abierto bajo una licencia Creative Commons. Calle 23 # 654 entre D y E, Plaza de la Revolución, La Habana, 10400, Cuba - concuba@infomed.sld.cu

51 Gestión de la Calidad Año XII · Número 140 · Abril 2023

El mundo cambia y nosotros nos transformamos

¡En AP Biotech estamos en constante evolución y movimiento!

Todos los días, nos adaptamos a un mundo cada vez más exigente y competitivo, revisando e ideando nuevas maneras de pensar, decir y hacer el negocio.

Queremos ser una empresa líder en diagnóstico reconocida por su nivel de servicio y su innovación constante, orientados a mejorar la salud y bienestar de las personas, promoviendo una cultura de trabajo donde nuestros valores nos inspiran a seguir potenciando negocios innovadores y rentables. Brindando experiencias únicas y transforma -

doras y desarrollando equipos humanos integrados y talentosos.

En esta oportunidad, compartimos con toda la comunidad nuestra identidad corporativa, una decisión que simboliza lo que somos pero fundamentalmente lo que deseamos ser.

Una marca líder en diagnóstico, que transforma la vida de las personas en toda la región.

Con esta iniciativa, renovamos nuestra pasión y compromiso de siempre junto a ustedes. Sigamos transformado juntos.

52 Revista Bioreview®

74° Congreso Argentino de Bioquímica

El 74° Congreso Argentino de Bioquímica, organizado por la Asociación Bioquímica Argentina, se llevará a cabo en la Ciudad de Buenos Aires del 13 al 16 de junio de 2023 en el Hotel Marriott, Buenos Aires. Este evento científico, que ha sido celebrado desde su fundación en 1934, tiene como objetivo reunir a los profesionales de la bioquímica y sus diferentes áreas para discutir los últimos avances en investigación y diagnóstico.

El programa del congreso ha sido diseñado para satisfacer las necesidades actuales de la bioquímica, con foros de discusión, conferencias, simposios, cursos y desayunos con expertos. El enfoque estará en los nuevos desafíos diagnósticos de patologías frecuentes y emergentes. Además, se llevará a cabo una Jornada Precongreso que abordará distintos aspectos de la Bioquímica en el adolescente y su transición a la edad adulta.

Los asistentes al congreso también tendrán la oportunidad de compartir sus experiencias a través de la presentación de comunicaciones libres o postulando trabajos científicos

completos a los diferentes premios que serán entregados. El envío de resúmenes para las comunicaciones libres deberá realizarse antes del 23 de abril de 2023 desde la página web del Congreso (www.congresoaba2023.com.ar).

Se otorgarán premios al mejor trabajo completo de investigación en el campo de la bioquímica básica o experimental ($150000), al mejor trabajo completo de investigación en el campo de la bioquímica clínica o aplicada ($150000) y a la mejor revisión bibliográfica o actualización en el campo de la bioquímica ($80000). Estos premios reconocen la excelencia en investigación y la contribución al avance de la bioquímica en nuestro país.

El 74° Congreso Argentino de Bioquímica es una oportunidad única para los profesionales de la bioquímica para actualizarse en los últimos avances de la investigación y diagnóstico, compartir experiencias y contribuir al avance de la bioquímica en nuestro país. No se pierdan esta oportunidad y participen en uno de los eventos científicos más importantes del año en Argentina.

53 Gestión de la Calidad Año XII · Número 140 · Abril 2023

Conforme los hechos de público conocimiento y de acuerdo a las recomendaciones de organismos internacionales en referencia al COVID-19, las fechas previstas para los eventos se encuentran sujetas a confirmación por parte de los organizadores. Se sugiere chequearlas previamente.

FORMACIÓN CON MODALIDAD A DISTANCIA

Western Blot

On demand - Organiza Biocealab cursos@biocealab.com - www.biocealab.com

Curso de Actualización en Psicofarmacología

Consultar fecha de inicio (cada módulo prevé una dedicación de 120 horas distribuidas en 3 meses)

Organiza COFyBCF (Colegio Oficial de Farmacéuticos y Bioquímicos de la Capital Federal) bioquimicos@cofybcf.org.ar; educacioncontinua@cofybcf. org.ar, www.cofybcf.org.ar

Actualización en Hemostasia y Coagulación

Inscripción permanente

Organiza UNL - (Universidad Nacional del Litoral) formacioncontinua@fbcb.unl.edu.ar http://www.fbcb.unl.edu.ar/app/cursos.php

Monitoreo Terapéutico de Drogas

Inscripción permanente

Organiza UNL (Universidad Nacional del Litoral) formacioncontinua@fbcb.unl.edu.ar http://www.fbcb.unl.edu.ar/app/cursos.php

Curso sobre Micología Médica

Inscripciones abiertas

Organiza Fundación Química Argentina info@fundacionquimica.org.ar

Manejo Práctico de las Alteraciones del Ciclo y Amenorreas

Contarán con 120 días para completar el curso administracion@saegre.org.ar; saegre@saegre.org.ar www.saegre.org.ar/curso_online_amenorreas.asp

El laboratorio en Endocrinología Ginecológica y Reproductiva (Curso Online)

Contarán con 90 días para completar el curso. administracion@saegre.org.ar saegre@saegre.org.ar www.saegre.org.ar/curso_online_laboratorio.asp

Diagnóstico y manejo práctico de la Osteoporosis (Curso Online)

Contarán con 90 días para completar el curso. administracion@saegre.org.ar saegre@saegre.org.ar www.saegre.org.ar/curso_online_osteoporosis.asp#

Panorama General de la Hematología (Curso Online)

Organiza Colegio Mexicano de Ciencias de Laboratorio Clínico A.C. (CMCLabC) y grupo HematoLab Diagnostic. cursosydiplomadoshd@hematolabdiagnostic.com.mx http://hematolabdiagnostic.com.mx/curso-i-panorama-general-de-la-hematologiacutea-hematopoyesis.html

Clasificación de las Anemias con Base en los Índices Eritrocitarios y Cambios Morfológicos de la Serie Roja (parte I) (Curso Online)

Organiza Colegio Mexicano de Ciencias de Laboratorio Clínico A.C. (CMCLabC) y grupo HematoLab Diagnostic. cursosydiplomadoshd@hematolabdiagnostic.com.mx http://hematolabdiagnostic.com.mx/curso-ii-clasificacioacuten-de-las-anemias-con-base-en-los-iacutendices-eritrocitarios-y-cambios-morfoloacutegicos-de-la-serie-roja-parte-i.html

Taller de Comprensión lectora en Inglés

Consultar fecha de inicio Cobico (Colegio Bioquímico de Córdoba) cobico@cobico.com.ar www.cobico.com.ar

54 Revista Bioreview®

Curso de Inglés para Profesionales de la Salud Consultar fecha de inicio Cobico (Colegio Bioquímico de Córdoba) cobico@cobico.com.ar www.cobico.com.ar

Organizan OPS (Organización Panamericana de la Salud), FIU (Florida International University) y ReAct Latinoamérica info@reactlat.org

https://reactlat.org/encuentro-latinoamericano-comunidades-empoderadas/

Curso de PCR Intensivo

On - demand

+54 911 3399-5049

https://biocealab.com/courses/curso-de-pcr-intensivo/

Curso de Biología Molecular

On - demand

+54 9 11 3399-5049

daniela@biocealab.com

https://biocealab.com/courses/curso-de-biologia-molecular-2-2/

Climaterio. Abordaje integral en Prevención y tratamiento Contarán con 120 días para completar el curso Organiza SAEGRE (Sociedad Argentina de Endocrinología Ginecológica y Reproductiva) congresosaegre@gmail.com

http://saegre.org.ar/curso_online_climaterio.asp

Disruptores endócrinos. Impactos en la Salud

Contarán con 120 días para completar el curso

Organiza SAEGRE (Sociedad Argentina de Endocrinología

Ginecológica y Reproductiva)

congresosaegre@gmail.com

http://saegre.org.ar/curso_online_disruptores.asp

Endocrinopatías y Embarazo

Contarán con 120 días para completar el curso Organiza SAEGRE (Sociedad Argentina de Endocrinología

Ginecológica y Reproductiva)

congresosaegre@gmail.com

http://saegre.org.ar/curso_online_endocrinopatias.asp

Nuevos enfoques en el manejo del dolor pelviano crónico y endometriosis

Contarán con 120 días para completar el curso Organiza SAEGRE (Sociedad Argentina de Endocrinología Ginecológica y Reproductiva)

congresosaegre@gmail.com

http://saegre.org.ar/curso_online_endometriosis.asp

Diagnóstico y manejo práctico de la Osteoporosis

Contarán con 90 días para completar el curso Organiza SAEGRE (Sociedad Argentina de Endocrinología Ginecológica y Reproductiva)

congresosaegre@gmail.com

http://saegre.org.ar/curso_online_osteoporosis.asp

Sexualidad en la mujer

Contarán con 120 días para completar el curso Organiza SAEGRE (Sociedad Argentina de Endocrinología Ginecológica y Reproductiva) congresosaegre@gmail.com

http://saegre.org.ar/curso_online_sexualidad.asp

SOP. Síndrome de ovario poliquístico. Diagnóstico y tratamiento.

Contarán con 120 días para completar el curso Organiza SAEGRE (Sociedad Argentina de Endocrinología Ginecológica y Reproductiva) congresosaegre@gmail.com

http://saegre.org.ar/curso_online_sop.asp

Las enfermedades tiroideas en el ciclo de la vida de la mujer

Contarán con 90 días para completar el curso Organiza SAEGRE (Sociedad Argentina de Endocrinología Ginecológica y Reproductiva)

congresosaegre@gmail.com

http://saegre.org.ar/curso_online_tiroides.asp

Programa de Capacitación en Inglés para profesionales de la Salud

(Nivel básico, intermedio y avanzado) Inscripciones abiertas cursos@mednet.com.ar https://campus.mednet.com.ar/mod/page/view. php?id=5688

55 Agenda de Formación Continua y de Posgrado Año XII · Número 140 · Abril 2023

Curso Intensivo de PCR

Organiza FQA (Fundación Química Argentina) info@fundacionquimica.org.ar https://fundacionquimica.org.ar/cursos/cursos/curso-intensivo-de-pcr/

Curso de Biología Molecular

Organiza FQA (Fundación Química Argentina) info@fundacionquimica.org.ar https://fundacionquimica.org.ar/cursos/cursos/curso-biologia-molecular/ Endocrinopatías y Embarazo

Inscripciones hasta junio 2023

Organiza FASEN (Federación Argentina de Sociedades de Endocrinología) cursos@mednet.com.ar https://campus.mednet.com.ar/mod/page/view. php?id=4281

Hemostasia: Principios Básicos teóricos y Prácticos

3 de abril de 2023

Organiza ABA (Asociación Bioquímica Argentina) cursos@aba-online.org.ar

Diagnóstico Bacteriológico, de la Clínica la Laboratorio

3 de abril de 2023

Organiza ABA (Asociación Bioquímica Argentina) cursos@aba-online.org.ar

Evaluación de la Pareja Infertil. “Rol e importancia del Laboratorio”

3 de abril de 2023

Organiza ABA (Asociación Bioquímica Argentina) cursos@aba-online.org.ar

Actualización en el Estudio de las Disproteinemias.

6 de abril al 26 de mayo de 2023 posgrado@ffyb.uba.ar

http://www.ffyb.uba.ar/CAyP/ampliacion-contenido-cursos-de-actualizacion/actualizacion-en-el-estudio-de-las-disproteinemias-curso-virtual-062-16943?es,0,mnu-e-56-11-1051-mnu-,

Diagnóstico de las Hemoglobinopatías y Talasemias: “A partir de casos clínicos”

10 de abril de 2023

Organiza ABA (Asociación Bioquímica Argentina) cursos@aba-online.org.ar

Genómica y Bioinformática aplicadas a la Medicina de Precisión

10 de abril de 2023

Organiza ABA (Asociación Bioquímica Argentina) cursos@aba-online.org.ar

La Bioquímica en el Banco de Sangre

10 de abril de 2023

Organiza ABA (Asociación Bioquímica Argentina) cursos@aba-online.org.ar

Patologías Endocrinológicas: “El laboratorio clínico herramienta indispensable en el diagnóstico”

10 de abril de 2023

Organiza ABA (Asociación Bioquímica Argentina) cursos@aba-online.org.ar

Radiofarmacia

10 abril a agosto de 2023

Organiza UBA (Universidad de Buenos Aires) posgrado@ffyb.uba.ar https://www.ffyb.uba.ar/?page_id=5879

Calidad Analítica: Implementación de un Sistema de Gestión de Calidad: Herramientas prácticas para el Laboratorio Bioquímico.

17 de abril de 2023

Organiza ABA (Asociación Bioquímica Argentina) cursos@aba-online.org.ar

Tópicos de Bioquímica Clínica y Patología en Pediatría 2023

17 de abril de 2023

Organiza ABA (Asociación Bioquímica Argentina) cursos@aba-online.org.ar

56 Revista Bioreview®

Casos de Formación Continuada: Importancia del Laboratorio en el Dianóstico Clínico

19 de abril de 2023

academia-seqcml@pacifico-meetings.com

https://www.academia-seqcml.com/images/site/formacion/2023/Programa_Diagn%C3%B3stico_Cl%C3%ADnico_2023.pdf

Herramientas para el Reconocimiento Citomorfológico de los Linfocitos en Trastornos Benignos y Malignos: ¿Linfocitos Reactivos o Sospecha de Neoplasia?

24 de abril de 2023

Organiza ABA (Asociación Bioquímica Argentina) cursos@aba-online.org.ar

Programa Avanzado para la Formación de auditores en BPMC (buenas prácticas de manufactura y control)

24 de abril al 17 de mayo de 2023

Organiza UBA (Universidad de Buenos Aires) posgrado@ffyb.uba.ar

https://www.ffyb.uba.ar/?page_id=5944

Caracterización de Alimentos para fines Especiales

26 de abril al 21 de junio de 2023

Organiza UBA (Universidad de Buenos Aires) posgrado@ffyb.uba.ar

https://www.ffyb.uba.ar/?page_id=5935

Toxicología Legal y Forense

27 de abril de 2023

Organiza ABA (Asociación Bioquímica Argentina) cursos@aba-online.org.ar

El Laboratorio frente a las Enfermedades Cardiovasculares: evaluación de factores de riesgo lipídico, no lipídico y de marcadores del evento agudo

27 de abril de 2023

Organiza ABA (Asociación Bioquímica Argentina) cursos@aba-online.org.ar

Los Desafíos Diarios del Laboratorio de Hemostasia.

Mayo a julio de 2023

Organiza UBA (Universidad de Buenos Aires) posgrado@ffyb.uba.ar

https://www.ffyb.uba.ar/?page_id=5835

Bases Moleculares y Celulares del Funcionamiento del Sistema Inmune

1 de mayo de 2023 Organiza ABA (Asociación Bioquímica Argentina) cursos@aba-online.org.ar

Enfoque Multidisciplinario en el Diagnóstico de la Patología Oncológica

1 de mayo de 2023 Organiza ABA (Asociación Bioquímica Argentina) cursos@aba-online.org.ar

Curso Integral sobre Líquidos de Punción con Tópicos de Urgencia

8 de mayo de 2023 Organiza ABA (Asociación Bioquímica Argentina) cursos@aba-online.org.ar

Hallazgos Inusuales en el Extendido de Sangre Periférica que Orientan a la Sospecha de Diferentes Enfermedades

8 de mayo de 2023 Organiza ABA (Asociación Bioquímica Argentina) cursos@aba-online.org.ar

Utilidad de los Biomarcadores En Sepsis

8 de mayo de 2023 Organiza ABA (Asociación Bioquímica Argentina) cursos@aba-online.org.ar

De la Mesada al Citómetro. Optimización de la Inmunocitometría de Flujo Multicolorimétrica y Cell-Sorting

8 al 29 de mayo de 2023 posgrado@ffyb.uba.ar

http://www.ffyb.uba.ar/CAyP/ampliacion-contenido-cursos-de-actualizacion/de-la-mesada-al-citometro-optimizacion-de-la-inmunocitometria-de-flujo-multicolorimetrica-y-cell-sorting-curso-virtual-604?es,0,mnu-e-56-11-105-1-mnu-,

Introducción al Modelo del Laboratorio Extendido para el diseño de la Enseñanza en Ciencias Naturales y de la Salud

1 de mayo al 31 de junio de 2023 Organiza UBA (Universidad de Buenos Aires) posgrado@ffyb.uba.ar https://www.ffyb.uba.ar/?page_id=5953

57 Agenda de Formación Continua y de Posgrado Año XII · Número 140 · Abril 2023

Mitos y Verdades de los Líquidos Biológicos (modalidad mixta)

2 de mayo al 30 de julio de 2023

Organiza UBA (Universidad de Buenos Aires) posgrado@ffyb.uba.ar

https://www.ffyb.uba.ar/?page_id=5835

Fitoterapia

5 de mayo al 16 de junio de 2023

Organiza UBA (Universidad de Buenos Aires) posgrado@ffyb.uba.ar

https://www.ffyb.uba.ar/?page_id=5871

Curso Teórico Práctico de Electroforesis Capilar: desarrollo y aplicaciones

8 al 12 de mayo de 2023

Organiza UBA (Universidad de Buenos Aires) posgrado@ffyb.uba.ar

https://www.ffyb.uba.ar/?page_id=5906

Evaluación de Semen Humano y Factor Inmunológico en Infertilidad (modalidad mixta)

8 al 29 de mayo de 2023

Organiza UBA (Universidad de Buenos Aires) posgrado@ffyb.uba.ar

https://www.ffyb.uba.ar/?page_id=5835

Cursos Internacional en Seguridad de Productos Cosméticos para Latinoamérica (modalidad mixta)

15 al 19 de mayo de 2023

Organiza UBA (Universidad de Buenos Aires) posgrado@ffyb.uba.ar

https://www.ffyb.uba.ar/?page_id=5895

La Placenta: origen de las Enfermedades Crónicas del Adulto

15 de mayo al 16 de junio de 2023

Organiza UBA (Universidad de Buenos Aires) posgrado@ffyb.uba.ar

https://www.ffyb.uba.ar/?page_id=5862

Capacitación práctica en Técnicas de Microscopía de Fluorescencia (modalidad mixta).

15 al 20 de mayo de 2023

Organiza UBA (Universidad de Buenos Aires) posgrado@ffyb.uba.ar

https://www.ffyb.uba.ar/?page_id=5862

Actualización en técnicas Cromatográficas

15 al 26 de mayo de 2023

Organiza UBA (Universidad de Buenos Aires) posgrado@ffyb.uba.ar https://www.ffyb.uba.ar/?page_id=5906

Análisis y Diseño de Materiales Didácticos para Ciencias Experimentales

26 de mayo al 14 de julio de 2023 Organiza UBA (Universidad de Buenos Aires) posgrado@ffyb.uba.ar https://www.ffyb.uba.ar/?page_id=5953

Analista de Riesgo. Curso de Perfeccionamiento: Gestión en Proveedores. Gestión del Riesgo en Auditorías Internas. Gestión del Riesgo en Contaminación Cruzada. Gestión del Riesgo en Capacitación del Personal

29 de mayo al 7 de junio de 2023 Organiza UBA (Universidad de Buenos Aires) posgrado@ffyb.uba.ar

https://www.ffyb.uba.ar/?page_id=5944

Actualización en el Estudio de las Disproteinemias

12 de junio de 2023 Organiza ABA (Asociación Bioquímica Argentina) cursos@aba-online.org.ar

Claves para la interpretación y validación del hemograma automatizado. Detección de interferencias

12 de junio de 2023 Organiza ABA (Asociación Bioquímica Argentina) cursos@aba-online.org.ar

Señales de Transducción que Participan en la Regulación del Crecimiento Celular

26 de junio al 4 de julio de 2023 Organiza UBA (Universidad de Buenos Aires) posgrado@ffyb.uba.ar

https://www.ffyb.uba.ar/?page_id=5925

Biotecnología vegetal: producción de compuestos de interés farmacéutico en cultivos in- vitro (modalidad mixta).

26 de junio al 7 de julio de 2023 Organiza UBA (Universidad de Buenos Aires) posgrado@ffyb.uba.ar

https://www.ffyb.uba.ar/?page_id=5895

58 Revista Bioreview®

Estrés Psicosocial y Alteraciones Metabólicas: Nuevos Actores en Viejas Enfermedades.

26 de junio al 28 de julio de 2023 posgrado@ffyb.uba.ar http://www.ffyb.uba.ar/CAyP/ampliacion-contenido-cursos-de-actualizacion/estres-psicosocial-y-alteraciones-metabolicas-nuevos-actores-en-viejas-enfermedades-curso-virtual-789?es,0,mnu-e-56-11-105-1-mnu-,

Rol de la Morfología de las Células Hemáticas en el Laboratorio de Urgencias

26 de junio de 2023

Organiza ABA (Asociación Bioquímica Argentina) cursos@aba-online.org.ar

Microbiología de los Alimentos (teórico – práctico)

Segundo semestre

Organiza ABA (Asociación Bioquímica Argentina) cursos@aba-online.org.ar

Plasma Rico en Plaquetas: Aplicaciones, Alcances y Limitaciones

Segundo semestre

Organiza ABA (Asociación Bioquímica Argentina) cursos@aba-online.org.ar

Médicos y Bioquímicos en el Diagnóstico de la Patología Oncológica

Segundo semestre

Organiza ABA (Asociación Bioquímica Argentina) cursos@aba-online.org.ar

Aspectos Citológicos y Microbiológicos del Exámen de Orina

Segundo semestre

Organiza ABA (Asociación Bioquímica Argentina) cursos@aba-online.org.ar

Aplicaciones de la Citometría de Flujo en la Práctica Clínica.

- Curso por Convenio: ABA- GRCF.

3 de julio de 2023

Organiza ABA (Asociación Bioquímica Argentina) cursos@aba-online.org.ar

Evaluación del Semen Humano. Teórico-Práctico

3 de julio de 2023 Organiza ABA (Asociación Bioquímica Argentina) cursos@aba-online.org.ar

Hemostasia en Pediatría

3 de julio de 2023 Organiza ABA (Asociación Bioquímica Argentina) cursos@aba-online.org.ar

Cultivos Celulares: Bases Teórico - Prácticas.

3 al 7 de julio de 2023

Organiza UBA (Universidad de Buenos Aires) posgrado@ffyb.uba.ar https://www.ffyb.uba.ar/?page_id=5862

Principios de Nanobiotecnología

3 al 14 de julio de 2023

Organiza UBA (Universidad de Buenos Aires) posgrado@ffyb.uba.ar https://www.ffyb.uba.ar/?page_id=5906

Cultivos Celulares: Bases Teórico – Prácticas (modalidad mixta)

3 al 14 de julio de 2023

Organiza UBA (Universidad de Buenos Aires) posgrado@ffyb.uba.ar https://www.ffyb.uba.ar/?page_id=5862

Examen de Orina. Aspectos Citológicos y Microbiológicos

10 de julio de 2023

Organiza ABA (Asociación Bioquímica Argentina) cursos@aba-online.org.ar

Curso de Neuroinmunología

10 de julio de 2023

Organiza ABA (Asociación Bioquímica Argentina) cursos@aba-online.org.ar

Curso de Histocompatibilidad

17 de julio de 2023

Organiza ABA (Asociación Bioquímica Argentina) cursos@aba-online.org.ar

59 Agenda de Formación Continua y de Posgrado Año XII · Número 140 · Abril 2023

El Microscopio como Aliado en el Diagnóstico (Nuevo)

17 de julio de 2023

Organiza ABA (Asociación Bioquímica Argentina) cursos@aba-online.org.ar

Curso de Autoinmunidad – Clínica y Laboratorio

24 de julio de 2023

Organiza ABA (Asociación Bioquímica Argentina) cursos@aba-online.org.ar

Metodologías de la Investigación

25 de julio al 21 de noviembre de 2023

Organiza UBA (Universidad de Buenos Aires) posgrado@ffyb.uba.ar

https://www.ffyb.uba.ar/?page_id=5925

Inmunología Celular- El Laboratorio en el Estudio de las Células del Sistema Inmune y sus Patologías

31 de julio de 2023

Organiza ABA (Asociación Bioquímica Argentina) cursos@aba-online.org.ar

Agosto a noviembre de 2023

Organiza UBA (Universidad de Buenos Aires) posgrado@ffyb.uba.ar

https://www.ffyb.uba.ar/?page_id=5879

Metodología de la Investigación en Educación en Ciencias Naturales y de la Salud

1 de agosto al 31 de octubre de 2023

Organiza UBA (Universidad de Buenos Aires) posgrado@ffyb.uba.ar

https://www.ffyb.uba.ar/?page_id=5953

Cinética Enzimática Avanzada

1 de agosto al 28 de noviembre de 2023

Organiza UBA (Universidad de Buenos Aires) posgrado@ffyb.uba.ar

https://www.ffyb.uba.ar/?page_id=5925

Curso de Legislación Alimentaria Argentina desde un Enfoque Integral

2 de agosto al 27 de septiembre de 2023

Organiza UBA (Universidad de Buenos Aires) posgrado@ffyb.uba.ar

https://www.ffyb.uba.ar/?page_id=5935

Actualización en Salud Reproductiva- módulo 2: Embarazo, Parto y Posparto

2 de agosto al 25 de octubre de 2023

Organiza UBA (Universidad de Buenos Aires) posgrado@ffyb.uba.ar https://www.ffyb.uba.ar/?page_id=5835

Inhibidores Adquiridos de la Coagulación

7 de agosto de 2023 Organiza ABA (Asociación Bioquímica Argentina) cursos@aba-online.org.ar

Dilemas en la identificación Morfológica de las Células de la Serie Mieloide en Sangre periférica

7 de agosto de 2023 Organiza ABA (Asociación Bioquímica Argentina) cursos@aba-online.org.ar Metodologías y Aplicación de Radioisótopos para graduados del área de la Biomedicina (modalidad mixta)

Técnicas de Análisis y caracterización de Polímeros/ Biopolímeros, Nanocompuestos y Materiales Derivados (modalidad mixta).

7 al 11 de agosto de 2023 Organiza UBA (Universidad de Buenos Aires) posgrado@ffyb.uba.ar https://www.ffyb.uba.ar/?page_id=5906

Química Forense como Auxiliar de la Justicia

7 al 28 de agosto de 2023 Organiza UBA (Universidad de Buenos Aires) posgrado@ffyb.uba.ar https://www.ffyb.uba.ar/?page_id=5906

Actualidad y Perspectiva en la investigación Biomédica de la Enfermedad Renal (modalidad mixta).

7 de agosto al 15 de septiembre de 2023 Organiza UBA (Universidad de Buenos Aires) posgrado@ffyb.uba.ar https://www.ffyb.uba.ar/?page_id=5862

Control de Calidad de Cosméticos (modalidad mixta)

14 de agosto al 4 de diciembre de 2023 Organiza UBA (Universidad de Buenos Aires) posgrado@ffyb.uba.ar https://www.ffyb.uba.ar/?page_id=5944

60 Revista Bioreview®

Protocolos, Aplicaciones y Consejos útiles para lograr una Transfección Exitosa

21 de agosto al 1 de septiembre de 2023

Organiza UBA (Universidad de Buenos Aires) posgrado@ffyb.uba.ar

https://www.ffyb.uba.ar/?page_id=5925

Atención Bioquímica. El nuevo ejercicio profesional.

7 al 29 de septiembre de 2023

Organiza UBA (Universidad de Buenos Aires) posgrado@ffyb.uba.ar

https://www.ffyb.uba.ar/?page_id=5835

El Profesional de la Salud en la Investigación Traslacional. Del Laboratorio al Paciente

2 al 31 de octubre de 2023

Organiza UBA (Universidad de Buenos Aires) posgrado@ffyb.uba.ar

https://www.ffyb.uba.ar/?page_id=5862

Biodegradación de Efluentes Industriales (modalidad mixta)

6 de noviembre al 15 de diciembre de 2023

Organiza UBA (Universidad de Buenos Aires) posgrado@ffyb.uba.ar

https://www.ffyb.uba.ar/?page_id=5935

Nuevas Estrategias de Diagnóstico y Tratamiento de la Enfermedad vascular (modalidad mixta).

4 al 15 de diciembre de 2023

CABA, Argentina

Organiza UBA (Universidad de Buenos Aires) posgrado@ffyb.uba.ar

https://www.ffyb.uba.ar/?page_id=5862

FORMACIÓN CON MODALIDAD PRESENCIAL

ARGENTINA

VI Curso Bianual de Especialización en Endocrinología

Ginecológica y Reproductiva. Buenos Aires 2019 – 2020

Consultar fecha de inicio

CABA, Argentina

Organiza SAEGRE

saegre@saegre.org.ar

www.saegre.org.ar/cursos_bs_as_2019-2020.asp

Evaluación del Semen Humano y Factor Inmunológico en Fertilidad

8 al 29 de mayo de 2023

CABA, Argentina

Organiza UBA (Universidad de Buenos Aires) posgrado@ffyb.uba.ar

74° Congreso Argentino de Bioquímica 2023

13 al 16 de junio de 2023

CABA - Argentina

cursos@aba-online.org.ar

https://aba-online.org.ar/74o-congreso-argentino-de-bioquimica-2023/

Fisiopatología Mitocondrial: aspectos Bioquímicos y Biofísicos

26 al 30 de junio de 2023

CABA, Argentina

Organiza UBA (Universidad de Buenos Aires) posgrado@ffyb.uba.ar

https://www.ffyb.uba.ar/?page_id=5906

Alérgenos en Alimentos: actualización y metodología de control

26 al 30 de junio de 2023

CABA, Argentina

Organiza UBA (Universidad de Buenos Aires) posgrado@ffyb.uba.ar

https://www.ffyb.uba.ar/?page_id=5935

Curso Básico Teórico Práctico de HPLC – PDA. Aplicaciones en toxicología

26 al 30 de junio de 2023

CABA, Argentina

Organiza UBA (Universidad de Buenos Aires) posgrado@ffyb.uba.ar

https://www.ffyb.uba.ar/?page_id=5935

Control de Calidad de Cosméticos (modalidad mixta)

14 de agosto al 4 de diciembre de 2023

CABA, Argentina

Organiza UBA (Universidad de Buenos Aires) posgrado@ffyb.uba.ar

https://www.ffyb.uba.ar/?page_id=5944

61 Agenda de Formación Continua y de Posgrado Año XII · Número 140 · Abril 2023

XXVIII Curso de Redacción de Materiales Científicos

23 de agosto al 6 de diciembre de 2023

CABA, Argentina

Organiza UBA (Universidad de Buenos Aires) posgrado@ffyb.uba.ar

https://www.ffyb.uba.ar/?page_id=5944

Plantas y Hongos Tóxicos: Aspectos Botánicos, Toxicológicos y Culturales.

5 al 28 de septiembre de 2023

CABA, Argentina

Organiza UBA (Universidad de Buenos Aires) posgrado@ffyb.uba.ar

https://www.ffyb.uba.ar/?page_id=5871

Biodegradación de Efluentes Industriales

6 de noviembre al 5 de diciembre de 2023

CABA, Argentina

Organiza UBA (Universidad de Buenos Aires) posgrado@ffyb.uba.ar

https://www.ffyb.uba.ar/?page_id=5935

Cultivos Celulares Primarios del Sistema Nervioso; Herramientas para el Estudio Celular en las Neurociencias

27 de noviembre al 1 de diciembre de 2023

CABA, Argentina

Organiza UBA (Universidad de Buenos Aires) posgrado@ffyb.uba.ar

https://www.ffyb.uba.ar/?page_id=5925

Nuevas Estrategias de Diagnóstico y Tratamiento de la Enfermedad vascular.

4 al 15 de diciembre de 2023

CABA, Argentina

Organiza UBA (Universidad de Buenos Aires) posgrado@ffyb.uba.ar

https://www.ffyb.uba.ar/?page_id=5862

Mutagénesis y Caracterización Funcional de Proteínas Expresadas en Células Eucariotas.

4 al 15 de diciembre de 2023

CABA, Argentina

Organiza UBA (Universidad de Buenos Aires) posgrado@ffyb.uba.ar

https://www.ffyb.uba.ar/?page_id=5925

Congreso Argentino de Microbiología 2023

27 al 29 de septiembre del 2023

Organiza AAM (Asociación Argentina de Microbiología)

https://www.aam.org.ar/actividades/714

Atención Bioquímica. El Nuevo Ejercicio Profesional. 24 de agosto al 15 de septiembre de 2023 posgrado@ffyb.uba.ar

http://www.ffyb.uba.ar/CAyP/ampliacion-contenido-cursos-de-actualizacion/atencion-bioquimica-el-nuevo-ejercicio-profesional-curso-virtual-392-16946?es,0,mnu-e-56-11105-1-mnu-,

AUSTRALIA

APFCB Congress 2024. Asia-Pacific Federation for Clinical Biochemistry and Laboratory Medicine

19 al 22 de octubre de 2024

Sydney Australia

https://apfcbcongress2022.org/

Asia-Pacific Federation for Clinical Biochemistry and Laboratory Medicine (APFCB) Congress 2024 in Sydney, Australia

31 de octubre al 3 de noviembre de 2024

Sidney Australia

https://apfcbcongress2022.org/

BÉLGICA

XXVI IFCC-EFLM EUROMEDLAB 2025

18 al 22 de mayo de 2025

Bruselas

Bélgica

https://www.ifcc.org/ifcc-congresses-and-conferences/

BRASIL

48° Congreso Brasileño de Análisis Clínicos

18 al 21 de junio de 2023

Florianópolis

Brasil

https://www.sbac.org.br/cbac/

62 Revista Bioreview®

COLOMBIA

XXVI COLABIOCLI 2024

Abril 2024

Cartagena

Colombia

XXVI COLABIOCLI 2024

28 al 31 de agosto de 2024

Cartagena, Colombia

EMIRATOS ÁRABES

XXVI IFCC WORLDLAB DUBAI 2024

26 al 30 de mayo de 2024

Dubai

Emiratos Árabes Unidos info@dubai2024.org

https://dubai2024.org/

ESPAÑA

Validación Analítica de los Procedimientos de Medida del Laboratorio Clínico

18 de mayo de 2023

Barakaldo, Vizcaya; España

https://www.seqc.es/es/cursos/validacion-analitica-de-los-procedimientos-de-medida-del-laboratorio-clinico/_id:131/

XVII Congreso LABCLIN 2023

18 al 20 de octubre de 2023

Zaragoza, España

https://www.seqc.es/es/cursos/xvii-congreso-labclin-2023/_ id:130/

FRANCIA

9th International Symposium on Critical Care Testing and Blood Gases

13 al 14 de junio de 2024

Saint Malo, Francia cbardin@terresetcie.com https://criticalcaretesting-saintmalo2024.eu/

9th International Symposium on Critical Care Testing and Blood Gases

20 al 21 de junio de 2024

Saint-Malo, Francia contact@criticalcaretesting-saintmalo2024.eu https://criticalcaretesting-saintmalo2024.eu/

ITALIA

XVI ICPLM - International Congress of Pediatric Laboratory Medicine - Satellite Meeting

20 de mayo de 2023 Roma, Italia nicholas.vergani@mzevents.it https://2023roma.org/index.php/xvi-icplm/

Clinical Mass Spectrometry: Validation and Accreditation of IVD and Laboratory Developed Test (LDT) in the new “Regulation EU 2017/746” ERA

20 y 21 de mayo de 2023 Roma, Italia

https://www.ifcc.org/ifcc-congresses-and-conferences/

Point-of-Care Testing: Home, Hospital and Beyond - Satellite Meeting

20 y 21 de mayo de 2023

Roma, Italia Marta.tollis@MZevents.it https://2023roma.org/index.php/poct-meeting/

Clinical Mass Spectrometry: Validation and Accreditation of IVD and Laboratory Developed Test (LDT) in the new “Regulation EU 2017/746” ERA - Point-of-Care Testing: Home, Hospital and Beyond - Satellite Meeting

20 de mayo de 2023

Roma, Italia nicholas.vergani@mzevents.it https://2023roma.org/index.php/clinical-mass-spectrometry/

XXV IFCC – EFLM WorldLab-EuromedLab Rome 2023

21 al 25 de mayo de 2023

Roma, Italia www.ifcc.org/ifcc-congresses-and-conferences

63 Agenda de Formación Continua y de Posgrado Año XII · Número 140 · Abril 2023

MÉXICO

XXIII National Congress of Clinical Chemistry and Laboratory Medicine Expolab Veracruz 2023

28 al 30 de abril de 2023

Veracruz

México info@fenacqc.org.mx

http://fenacqc.org.mx/

PERÚ

II Peruvian International Congress of Clinical Pathology and Laboratory Medicine and the IX Peruvian Congress of Clinical Pathology “Dr. Oswaldo Hercelles”

26 al 28 de abril de 2023

La Libertad

Trujillo, Peru

https://www.ifcc.org/ifcc-congresses-and-conferences/

REPÚBLICA CHECA

5th Symposium – Cutting Edge of Laboratory Medicine in Europe – CELME 2023

12 al 13 de octubre de 2023

Praga, República Checa celme2023@cbttravel.cz

http://www.celme2023.cz/

URUGUAY

XIV Congreso de Bioquímica Clínica

11 al 13 de mayo de 2023

Montevideo, Uruguay

congresoabu2023@grupoelis.com.uy

TURQUÍA

25th European Congress of Endocrinology

13 al 16 de mayo de 2023

Estambul, Turquía info@euro-endo.org

https://www.ese-hormones.org/events-deadlines/european-congress-of-endocrinology/

DOCTORADOS

POSTGRADO

Doctorado en Bioquímica y Biología Aplicada Inscripción abierta Organiza UNL (Universidad Nacional del Litoral) cytbioq@fbcb.unl.edu.ar posgrado@fbcb.unl.edu.ar www.unl.edu.ar/blog/carreras/doctorado-en-bioquimica-y-biologia-aplicada

Doctor en Ciencias Biológicas

Inscripción abierta Organiza UNL (Universidad Nacional del Litoral) cytbioq@fbcb.unl.edu.ar - posgrado@fbcb.unl.edu.ar www.unl.edu.ar/blog/carreras/doctorado-en-ciencias-biologicas

Doctorado en Educación en Ciencias Experimentales

Inscripción abierta Organiza UNL (Universidad Nacional del Litoral) cytbioq@fbcb.unl.edu.ar posgrado@fbcb.unl.edu.ar www.unl.edu.ar/blog/carreras/doctorado-en-educacion-en-ciencias-experimentales

Doctorado en Ciencias Biológicas

Pre inscripciones abiertas Mendoza Argentina

Organiza Universidad Nacional de Cuyo posgrado@fcm.uncu.edu.ar www.probiol.uncu.edu.ar

Doctor en Física

Inscripciones abiertas Organiza UNL (Universidad Nacional del Litoral) cytbioq@fbcb.unl.edu.ar posgrado@fbcb.unl.edu.ar www.unl.edu.ar/carreras/doctorado-en-fisica/

64 Revista Bioreview®

MAESTRÍAS

Maestría en Ciencias Biomédicas

Maestría binacional compartida entre la Universidad de Buenos Aires (UBA)

Argentina

(Facultad de Medicina y Facultad de Farmacia y Bioquímica) y la Universidad Albert Ludwig de Friburgo (ALU), Alemania (Facultad de Medicina).

http://www.ffyb.uba.ar/maestrias-89/maestria-en-ciencias-biomedicas--imbs-programa-argentino-aleman?es

Magíster en Física

Inscripciones abierWtas

Organiza UNL (Universidad Nacional del Litoral) cytbioq@fbcb.unl.edu.ar posgrado@fbcb.unl.edu.ar

https://www.unl.edu.ar/carreras/maestria-en-fisica

ESPECIALIZACIONES

Especialización en Vinculación y Gestión Tecnológica

Inscripción abierta

Organiza UNL (Universidad Nacional del Litoral) gtec@unl.edu.ar

www.unl.edu.ar/blog/carreras/especializacion-en-vinculacion-y-gestion-tecnologica

Especialización en Bioquímica Clínica en el área de Microbiología Clínica

Preinscripción abierta

Organiza Universidad Nacional de La Rioja posgrado.dacefyn@unlar.edu.ar

https://posgrado.unlar.edu.ar/depto-exactas/

Especialización en Bioquímica Clínica, área Citología.

7 de agosto de 2023

Preinscripción: 17 de junio al 28 de julio 2023

Organiza UBA (Universidad de Buenos Aires) posgrado@ffyb.uba.ar

http://www.ffyb.uba.ar/carreras-de-especializacion-88/ citologia?es

Especialización en Bioquímica Clínica, área Hematología

Marzo / Abril 2024

Organiza UBA (Universidad de Buenos Aires) posgrado@ffyb.uba.ar http://www.ffyb.uba.ar/carreras-de-especializacion-88/ hematologia?es

BECAS Y CONVOCATORIAS

Búsqueda de candidato a beca postdoctoral CONICET (IIBFIUBA)

Tema: Desarrollo de dispositivos de microfluídica Lab On a Chip de gran tamaño para la producción y purificación de anticuerpos monoclonales de forma integrada.

Requisitos del becario: tener título de doctor/a en biología, bioquímica, farmacia, química, biotecnología o carreras afines o tesis aprobada antes del 31/7/2022 con interés en desarrollar trabajos en equipos interdisciplinarios. Enviar CV

Lugar de trabajo: Grupo de Microfluídica Instituto de Ingeniería Biomédica Facultad de ingeniería, UBA. Contactos: Dr. Maximiliano Pérez: max@fullgen.com.ar, Dra. María Camila Martínez Ceron: mc4camila@gmail.com, camartinez@ffyb.uba.ar, Dra. Natalia Bourguignon: nataliabourguignon@gmail.com

Estudio de la asociación de Flavonas con Actividad Antitumoral con Inhibidores del EGFR y su adecuada vehiculización para el Tratamiento del Cáncer de Mama.

Requisitos: Graduado en Bioquímica, Farmacia, Biotecnología, Biología o carreras afines. Buen nivel de inglés

Duración de la beca: 3 años a partir de 01/04/2023.

Lugar de Trabajo: IQUIFIB (UBA – CONICET), Depto de Química Biológica, Facultad de Farmacia y Bioquímica, Universidad de Buenos Aires.

Contacto: Dra. Johanna Gabriela Miquet. Enviar CV (que incluya calificaciones y promedios considerando aplazos) al siguiente e-mail miquetig@yahoo.com.ar

65 Agenda de Formación Continua y de Posgrado Año XII · Número 140 · Abril 2023

AP BIOTECH

Félix de Azara 757, Lomas de Zamora, Buenos Aires. +54 11 5352 3820 - info@apbiotech.com.ar https://apbiotech.com.ar/news/labs/ Aviso en pág. 18 y 19

AVAN TECNOLOGÍAS IVD

LABORATORIOS BACON

BERNARDO LEW E HIJOS S.R.L

Perú 150,Bahía Blanca, Argentina

+54 291 455 1794 - info@bernardolew.com.ar www.bernardolew.com.ar

Aviso en pág. 11-13

DICONEX S. A.

Torcuato de Alvear 46 (1878), Quilmes, Argentina - Líneas Rotativas: +54 11 4252 2626 - info@diconex.com www.diconex.com

Aviso en pág. 15

JS MEDICINA ELECTRÓNICA S.R.L

Bolivia 462 (B1603CFJ) Villa Martelli, Buenos Aires - +54 11 4709 7707 marketing@jsweb.com.ar - www.jsweb.com.ar

Aviso en pág. 46

BIOARS

Estomba 961, CABA, Argentina +54 11 4555-4601 ventas@bioars.com.ar

Aviso en pág. 25/37

GEMATEC EQUIPAMIENTO PARA MEDICINA

Avalos 3651, (1605) Munro, Buenos Aires, Argentina. +54 11 4512-5666 y líneas rotativas. info@gematec.com.ar

Aviso en pág. 43/45

GLYMS INFORMACIÓN EN TIEMPO REAL

Piedras 519 8-A, Capital Federal, República Argentina +54 011 4331 4512 - administracion@glyms.com.

Aviso en pág. 21

66 Revista Bioreview®
S. A. I. C.

IAC INTERNACIONAL

Av. P. Luro 7113 - Mar del Plata - Argentina + 54 223 4783900

ventas@iacinternacional.com.ar

https://iacinternacional.com.ar

Aviso en pág. 59

Instrumental Bioquímico SA

Tel. +54 11 4709 7700

instrumental-b.com.ar

Aviso en pág. 47/49

MANLAB - Diagnóstico Bioquímico y Genómico

Tel. +54 11 6842 1200

manlab.com.ar

Aviso en pág. 17

MERCK S.A.

Ed. Panamericana Plaza, Tronador 4890, Buenos Aires (1430)

https://www.merckgroup.com/ar-es - Cel. +54 11 4546 8100

Aviso en pág. 8-9

Año XII · Número 140 · Abril 2023

MONTEBIO

Oficina y depósito: Vera 575 CABA Tel. +54 11 4858 0636.rotativas. www.montebio.com.ar/info@montebio.com.ar

Aviso en pág. 35

NextLAB by Genetrics S.A.

Av. del Libertador 8630 6º Piso - Tel. +54 11 5263 0275 info@nextlab.com.ar - www.nextlab.com.ar - Aviso en pág. 30/33

WIENER LAB

Wiener Lab Switzerland S. A. ventas@wiener-lab.com

Horario de Atención: Lunes a Viernes 9 a 18Hs. (-3 GMT)

Aviso en pág. 21

67 Índice de Auspiciantes
68 Revista Bioreview®

Y MÁS DE 12 AÑOS JUNTOS

VISITANOS EN ISSUU.COM
SOMOS
140 EDICIONES
PIONEROS

Turn static files into dynamic content formats.

Create a flipbook
Issuu converts static files into: digital portfolios, online yearbooks, online catalogs, digital photo albums and more. Sign up and create your flipbook.
Revista Bioreview Edición 140 Abril 2023 by RW SA - Issuu