Revista Bioreview Edición 142 Junio 2023

Page 1

Año XII - Número 142

Junio 2023

www.revistabioreview.com

ISSN 2313-9919

Latindex. Folio 23062

Síndrome Autoinmune Múltiple Tipo III. Reporte de Caso

Pág. 40

Impacto de la implementación de un sistema documental en el aseguramiento de la calidad en un laboratorio de análisis clínicos de un hospital público

Pág. 52

Manejo

ambulatorio de pacientes con amiloidosis cardiaca por cadenas livianas

Seroprevalencia del antígeno de superficie del virus de hepatitis B en donantes de sangre

Pág. 32

Pág. 6

Editorial RW S. A.

A. Gonzalez 1351, Guaymallén. Mendoza Argentina. CP: 5525 Tel. : +54 261 491 3211 - Skype: revista.bioreview

Director General de Medios

Dr. Sergio A. Sainz ssainz@rwgroup.com.ar

Directora de Contenidos Dra. Griselda Basile gbasile@rwgroup.com.ar

Social Media Manager / Agente Comercial de Cuentas Cyntia Perez info@rwgroup.com.ar

Directora de Arte y Desarrollo Digital Lucía Zandanel Terán arte@rwgroup.com.ar

Sitios Web www.revistabioreview.com www.cubranews.com.ar www.rwgroup.com.ar

Agradecimientos Acta Médica del Centro Alvarado-Giménez, Juan S. Ali Pérez, Niurka Aurora Cámara Argentina de Laboratorios de Análisis Bioquímicos Fraiz, Francisco José

Revista Colombiana de Cardiología

Revista de Diagnóstico Biológico Revista de Medicina Clínica Theran-Leon, Juan Sebastián

Registro de la Propiedad Intelectual Nº: En trámite - Revista Bioreview® es propiedad intelectual de RW S. A. - A. González 1351, Guaymallén. Mendoza Argentina.

Tel.: +54 261 4313686 - Cel.: +54 261 3345353 - La marca Revista Bioreview® es propiedad de RW S. A. Revista Bioreview® en formato impreso es una publicación mensual de suscripción paga. Las ideas u opiniones expresadas en las notas son responsabilidad de sus autores y no representan el pensamiento de RW S.A. y las firmas anunciantes, quienes deslindan cualquier responsabilidad en ese sentido. Se prohíbe la reproducción total o parcial del material incluido en esta revista por cualquier medio conocido o por conocerse. El uso del contenido de esta revista queda bajo exclusiva responsabilidad del usuario. Impreso en Artes Gráficas BUSCHI S.A. Ferré 2250, 1437 Buenos Aires, Capital Federal, Argentina.

Bioquímico Sergio Sainz Director General de Medios ssainz@rwgroup.com.ar Bioquímica Griselda Basile Directora de Contenidos gbasile@rwgroup.com.ar Cyntia Perez Social Media Manager info@rwgroup.com.ar DI Lucía Zandanel Terán Directora de Arte y Desarrollo Digital arte@rwgroup.com.ar

Sumario

Diagnóstico Clínico Aplicado 06

Diagnóstico Clínico Aplicado 32

Manejo ambulatorio de pacientes con amiloidosis cardiaca por cadenas livianas

La amiloidosis primaria o de cadenas livianas (AL) es la forma más común de amiloidosis y se caracteriza por presentar una población clonal de células plasmáticas que producen una cadena ligera monoclonal de tipo lambda o kappa. En algunos sujetos, dicha cadena se deposita en forma de amiloide en los órganos y tejidos, dando lugar a manifestaciones clínicas, como proteinuria o síndrome nefrótico, miocardiopatía... Página 06

Actualidad 65

Acción de CALAB ante la SSS por la situación crítica de los laboratorios

Con el objetivo de mejorar la situación crítica de los laboratorios, la Cámara Argentina de Laboratorios de Análisis Bioquímicos (CALAB) informa que comenzó... Página 65

Seroprevalencia del antígeno de superficie del virus de hepatitis B en donantes de sangre

Las hepatitis virales son un problema en la salud pública mundial y son una de las enfermedades que afectan al hombre; los organismos que la causan son los virus que van de las hepatitis A hasta la E; sin embargo, los virus de la hepatitis B (VHB) y C (VHC) son de particular interés clínico, probablemente debido a su virulencia y a la progresión a la cronicidad ... Página 32

Actualidad 66

NORMAS ISO - Utilidad y Aplicación para el Laboratorio Bioquímico

Objetivos del curso: Brindar a los participantes conocimientos y herramientas en los siguientes tópicos, descripción y comprensión de Normas ISO en general, aplicadas al ámbito. Página 66

Diagnóstico Clínico Aplicado 40

Gestión de la Calidad 44

Síndrome

Autoinmune

Múltiple Tipo III. Reporte de Caso

Se presenta el caso de una paciente femenina con antecedente de Diabetes Mellitus tipo 1 que inicia con disfagia, acompañada con resequedad en cavidad oral y vaginal que posterior a que posterior a gammagrafía de tiroides y biopsia de glándula salival se confirmó el diagnóstico de tiroiditis de Hashimoto y síndrome de Sjögren asociado. La tiroiditis de Hashimoto es la principal causa de hipotiroidismo en las áreas del mundo con suficiente yodo. Las características patológicas de la infiltración linfocítica, especialmente de células T, y la destrucción folicular son el sello... Página 40

Impacto de la implementación de un sistema documental en el aseguramiento de la calidad en un laboratorio de análisis clínicos de un hospital público

El objetivo de este trabajo fue establecer el impacto de la implementación de un sistema de gestión de calidad (SGC) en el desempeño del laboratorio de análisis clínicos del Hospital Materno Provincial. Se diseñaron diez indicadores de calidad (IC), que se midieron pre y posimplementación del sistema documental. Se encontró para el indicador solicitud médica incorrecta (SMI) una disminución de 11,2% a 6% cuando se implementó la gestión documental... Página 44

Índice de Auspiciantes 78

Formación con modalidad Online y Presencial en todo el mundo. Página 68

Nuestros Patrocinantes siempre presentes.

Página 78

Agenda de Formación
68

Manejo ambulatorio de pacientes con amiloidosis cardiaca por cadenas livianas

CASO CLÍNICO

S. Alvarado-Giménez1,2*,

1Servicio de Cardiología, Hospital El Carmen, Mendoza

2Federación Argentina de Cardiología, Buenos Aires

3Servicio de Cardiología, Hospital Ramón Carrillo, San Luis

4Servicio de Cardiología, Clínica Italia, San Luis. Argentina

Revista

https://doi.org/10.24875/rccar.22000019

*Correspondencia: Juan S. Alvarado-Giménez E-mail: sebaalvarado06@gmail.com

Resumen

La amiloidosis primaria o de cadenas livianas (AL) es la forma más común de amiloidosis y se caracteriza por presentar una población clonal de células plasmáticas que producen una cadena ligera monoclonal de tipo lambda o kappa. En algunos sujetos, dicha cadena se deposita en

forma de amiloide en los órganos y tejidos, dando lugar a manifestaciones clínicas, como proteinuria o síndrome nefrótico, miocardiopatía restrictiva y hepatomegalia. Aunque se considera una enfermedad rara, datos recientes sugieren que la amiloidosis cardíaca se subestima como una causa de enfermedades o síndromes cardíacos comunes. En la amiloidosis AL, tanto la respuesta hematológica

6 Revista Bioreview®
Juan José H. Bertín1,2, Beder G. Farez2,3,4, Gustavo G. Vega1,2
Bogota
Colombiana de Cardiología - Print version ISSN 0120-5633 - Rev. Colomb. Cardiol. vol.30 no.1
Jan./Feb. 2023 Epub Feb 09, 2023

como la de los órganos después del tratamiento son importantes para mejorar el resultado clínico, especialmente, si mejora la función cardíaca que es uno de los aspectos clave en el pronóstico de la amiloidosis AL. Se presenta el caso y la revisión de un paciente de sexo femenino, de 67 años de edad, que en la pesquisa diagnóstica de anemia e insuficiencia cardiaca (IC) se concluye en el diagnóstico de mieloma múltiple y amiloidosis cardiaca (AC) por depósito de cadenas livianas.

Palabras clave: Amiloidosis; Amiloidosis cardiaca; Mieloma múltiple; Cadenas livianas

Abstract: Outpatient management of patients with cardiac light chain amyloidosis

Primary or light chain (AL) amyloidosis is the most common form of amyloidosis and is characterized by a clonal population of plasma cells that produce a monoclonal lambda or kappa-type light chain, which in some subjects this chain is deposited as amyloid in the organs and tissues, giving rise to clinical manifestations such as proteinuria or nephrotic syndrome, restrictive cardiomyopathy and hepatomegaly. Although considered a rare disease, recent data suggest cardiac amyloidosis is underestimated as cause of common heart diseases or syndromes. In AL amyloidosis, both the hematologic and organ response after treatment, are important to improve clinical outcome. Especially if it improves cardiac function is one of the key aspects in the prognosis of AL amyloidosis. We present the case and review of a 67-year-old female patient, who in the investigation diagnoses anemia and heart failure concludes in the diagnosis of multiple myeloma and cardiac amyloidosis due to light chain deposition.

Keywords: Amyloidosis; Cardiac amyloidosis; Multiple myeloma; Light chains.

Introducción

Amiloidosis es un término que se refiere a un conjunto de enfermedades que se producen por la infiltración y depósito de proteínas plegadas anormalmente en los espacios extracelulares de diversos órganos, que captan específicamente la tinción rojo Congo; poseen una ultraestructura fibrilar y patrón de láminas con plegamiento beta. El subtipo particular de la enfermedad está determinado por el tipo de proteína y el órgano en el cual se depositen y de acuerdo a esto serán las manifestaciones clínicas que presente. Actualmente, se sabe que existen más de 32 proteínas diferentes (y muchas más variantes), así como casos de amiloidosis asociadas a enfermedades inflamatorias crónicas, y continuamente se agregan tipos de proteínas adicionales a esta lista; sin embargo, el 98 % de los casos se debe al depósito de fibrillas compuestas de la replicación monoclonal de la cadena liviana de inmunoglobulinas (amiloidosis AL) o de transtiretina (amiloidosis

ATTR); esta última, a su vez, puede ser una forma hereditaria o salvaje1.

Caso clínico

Paciente femenino de 67 años de edad, en seguimiento por hematología por anemia de cinco años de evolución, a quien se le realiza punción de médula ósea en la que se evidencian células plasmáticas con fenotipo alterado (> 10%) y concluye en el diagnóstico de mieloma múltiple. La analítica general y específica se resume en tabla

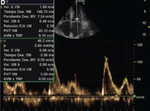
1. Evoluciona con clínica tórpida, desarrollando signos de IC por lo que se solicita electrocardiograma (Fig. 1), ecocardiograma Doppler color (Fig. 2) y resonancia magnética nuclear cardiaca. Esta última informa: ventrículo izquierdo no dilatado, leve incremento de espesor parietal septal (12 mm), fracción de eyección de ventrículo izquierdo: 51%. IM leve, AI moderadamente dilatada. Fibrosis difusa transmural inferoseptal basal e inferoseptal medial, fibrosis subendocárdica en pared inferior de ventrículo derecho. Valores de T1 mapping nativo aumentados en forma difusa (valores mayores a 1110 ms). Volumen extracelular (VEC) 55%, hallazgos compatibles con AC. Por referir palpitaciones se solicita estudio holter de 24 horas (Fig. 3).

Se diagnostica mieloma múltiple y AC con IC función sistólica preservada, iniciando tratamiento dirigido a ambas enfermedades. En su seguimiento presenta mejoría clínica de la función renal y cardiaca; luego de dos meses de tratamiento, las mediciones de NT-pro BNP y troponina I ultrasensible habían descendido un 30%. En ecocardiograma control se puede objetivar mejoría de la función diastólica, progresando desde una disfunción diastólica III (flujo transmitral tipo restrictivo) a una tipo I (flujo transmitral prolongado), mejoría en Doppler tisular y parámetros de deformación longitudinal global.

Epidemiología

Se trata de una enfermedad poco frecuente, que aumenta con la edad y en ciertos subgrupos de pacientes. Datos recientes informan una prevalencia de 40.5 casos por millón de habitantes y una incidencia de 14 casos por millón de personas por año. La población de pacientes mayores de 65 años con síndrome nefrótico presenta una incidencia mayor a la de la población general. En cuanto a la prevalencia, hay resultados divergentes; sin embargo, datos más recientes comunican que la amiloidosis AL sería un poco menos frecuente que aquella por transtiretina. Entre los casos de amiloidosis AL, aquella producida por cadenas lambda es más frecuente. Afecta más a hombres que a mujeres y la media de edad ronda los 56 a 63 años2.

7 Diagnóstico Clínico Aplicado Año XII · Número 142 · Junio 2023
8 Revista Bioreview

Tabla 1.Analítica general y tabla de dispersión de que muestra la evolución de hemoglobina, creatininemia, troponina T y NT Pro-BNP a lo largo del tiempo

10 Revista Bioreview®
Prueba realizada Hematocrito Hemoglobina Uremia Creatininemia Na K Cl Clearance de creatinina Proteínas urinarias Cadenas kappa Cadenas lambda Cociente kappa/lambda Tronoponina T NT-Pro BNP Chagas Resultado Al momento del diagnóstico Primer mes Tercer mes Sexto mes Décimosexto mes Unidades Valores de referencia 34 10.6 42 8.3 138 4.2 103 59 925,6 16.1 67.8 0.23 16.6 4220 8259 10,7 107 13,1 50.4 6 2764 8,6 18,3 34 163.2 34 9746 7,8 210 28,4 51 4780 % g/dL mg/dL mg/dL mEq/L mEq/L mEq/L mL/min mg/24HS mg/L Pg/L pg/mL 37-47 12-16 Menor a 71 0.5-0.9 136-145 3.5-5.1 96-107 Mujeres: de 88 a 128 mL/min Menor a 80 mg 3.3 a 19.4 5.71 a 26.3 0,26-1,65 0-14 Menor a 125 Negativo 20 10 0 0 2 4 6 Variación hemoglobina 20000 10000 0 0 2 4 6 Variación de Nt Pro-BNP 40 20 0 0 2 4 6 Variación de creatininemia 100 50 0 0 2 4 6 Variación de troponina T us

Fisiopatología

Las células plasmáticas residen principalmente en la médula ósea y producen una gran variedad de anticuerpos,

los cuales están compuestos por cadenas pesadas y livianas. Cuando un grupo de estas células toma un comportamiento maligno y comienza una replicación clonal, a su vez desencadena una producción excesiva de anticuerpos y las cadenas asociadas a dicho anticuerpo. A continua-

12 Revista Bioreview®
Figura 1. Electrocardiograma. Ritmo sinusal. Bajo voltaje. Bloqueo completo de rama derecha. Trastorno difuso de la repolarización. Q inferior sin criterios de fibrosis.
B
D
Figura 2. Ecocardiograma Doppler color. A: paraesternal 4 cámaras, hipertrofia concéntrica. B: deterioro de la función sistólica de ventrículo derecho evaluada por Doppler tisular. C: relación Doppler de flujo transmitral y Doppler tisular mitral lateral alterado. D: disfunción diastólica grado III. A
C

ción, se presentan tres posibles escenarios:

– Que el clon de estas células solo tome una pequeña porción de la médula y la producción de cadenas livianas (CL) se excrete inofensivamente por la orina, lo que se denomina gammapatía monoclonal de significado incierto (que sucede en el 90% de estos casos).

– Que la invasión en la médula sea mayor y de lugar a anemia, lesiones líticas y, eventualmente, disfunción renal, lo que se denomina mieloma.

– En forma adicional a esta última situación, puede suceder que las cadenas livianas tomen un plegamiento anómalo y se depositen en los tejidos. Esta última condición se llama amiloidosis AL.

La disfunción cardiaca puede deberse a una proteotoxicidad secundaria a las cadenas livianas o los depósitos amieloides. También puede verse alteración de la membrana celular o toxicidad celular por el crecimiento de fibrillas, y formación de oligómeros de cadenas livianas solubles. Además, las CL pueden inducir apoptosis directamente, a diferencia de las fibrillas, que no lo hacen, e inducir la señalización de MAPK, lo que da como resultado una mayor producción de especies reactivas de oxígeno, alteración de la homeostasis del calcio, disfunción celular y, finalmente, muerte celular en cardiomiocitos adultos aislados3.

Los depósitos de amiloide AL se fijan en los tejidos y pueden provocar su disfunción y manifestaciones clínicas. Los órganos afectados con mayor frecuencia son los riñones

14 Revista Bioreview®
Figura 3. Holter de 24 h que informa ritmo sinusal predominante, extrasístoles supraventriculares frecuentes con episodios aislados de taquicardia auricular irregular autolimitada y extrasístoles ventriculares aisladas sin formas complejas.
15 Diagnóstico Clínico Aplicado Año XII · Número 142 · Junio 2023

(74%, que se manifiestan como albuminuria e insuficiencia renal), el corazón (60% típicamente con clínica de IC con función sistólica preservada), el tracto gastrointestinal (10-20% macroglosia, disfagia, estreñimiento, malabsorción, hemorragia digestiva), el hígado (27%, dando aumento de enzimas hepáticas e insuficiencia hepática en estadios avanzados) y el sistema nervioso autónomo (18%, presentando disfunción autonómica periférica). En el momento del diagnóstico, el 69% de los pacientes tiene más de un órgano afectado.

Diagnóstico

Presentación clínica

La presentación clínica dependerá principalmente del mayor órgano afectado. Los principales síntomas son astenia y disnea, que debido a su pobre especificidad muchas veces retrasan el diagnóstico.

Al momento del diagnóstico, dos tercios de los pacientes presentarán afectación renal, habitualmente con proteinuria en rango nefrótico4.

A diferencia de la amiloidosis ATTR, la AL se caracteriza por presentar sutiles cambios estructurales en el contexto de una florida y progresiva clínica de IC. Cerca del 50% de los pacientes tendrán afección cardiaca, manifestándose con síntomas de IC, astenia o intolerancia al ejercicio, que pueden ser acompañados por hipotensión, lo cual dificulta su manejo. Además, pueden presentar síncope, habitualmente en ejercicio, por restricción en el llenado, hipotensión y neuropatía. El compromiso cardíaco es el principal factor pronóstico ya que la causa de muerte se debe en un 75% a arritmias o IC avanzada, falleciendo alrededor de los 5 meses desde el inicio de los síntomas de IC si no se trata o a los 6 años si recibe tratamiento. Las arritmias supraventriculares son frecuentes y mal toleradas por su disfunción diastólica. Pueden afectar las arterias coronarias dando lugar a síntomas compatibles con síndrome coronario agudo.

El 20% de los pacientes mostrará enfermedad nerviosa periférica, como una polineuropatía sensitivo motora progresiva lenta, que habitualmente se manifiesta con dolor. Comúnmente presentan síndrome del túnel carpiano. La neuropatía autonómica es una complicación grave, que se observa con síntomas gastrointestinales (gastroparesia, diarrea, constipación, sangrado oculto, malabsorción, oclusión intestinal) aunque el 80% de las veces la invasión gastrointestinal es asintomática. Impotencia sexual e hi-

potensión ortostática son otras formas de manifestación.

Se diagnosticará macroglosia en un 15% de los pacientes. La afectación hepática suele verse como hepatomegalia y aumento de la fosfatasa alcalina sin signos de insuficiencia hepática. Pueden verse algunos signos de hipoesplenismo como cuerpos de Howell-Jolly junto a trombocitopenia. La expresión clínica de la afectación pulmonar resultará en insuficiencia respiratoria o nódulos en la forma localizada.

Cuando aparezca la expresión articular será una poliartropatía progresiva simétrica y bilateral, que en el caso de afectar la articulación del hombro aparece el signo patognomónico de la hombrera. La afectación muscular usualmente se asocia a compromiso cardiaco concomitante, y da el aspecto de persona atlética.

También pueden verse afectadas glándulas endocrinas dando como resultado síndrome de Sjögren, o insuficiencia adrenal o tiroidea. También se ha evidenciado en amiloidosis AL un mayor riesgo de sangrado, ya sea por la afectación vascular, déficit de factores de coagulación o aumento de proteínas fibrinolíticas5.

En la tabla 2 se resumen los principales signos y síntomas (ver en página siguiente).

Exámenes complementarios

El diagnóstico de amiloidosis AL debe iniciarse solicitando cadenas ligeras libres de suero (kappa y lambda) y electroforesis de proteínas séricas y urinarias con inmunofijación. Como es sabido, la presencia de cadenas ligeras por sí sola no es específica para amiloidosis AL porque 20% de los pacientes con ATTR tienen una gammapatía monoclonal de significado incierto.

En la tabla 3 se presentan las principales recomendaciones en el tamizaje diagnóstico de amiloidosis AL (ver en página siguiente).

Exámenes de laboratorio. Histopatología

El diagnóstico definitivo será la detección directa de material amiloide a través de un test de rojo Congo positivo de tejido afectado, preferentemente en forma no invasiva de tejido graso abdominal, recto o glándulas salivales, y de ser necesario (alta sospecha y resultado negativo) el órgano que clínicamente muestre compromiso. Las partes que sean positivas para rojo Congo deben correlacionarse con inmunohistoquímica o realizarse inmunofluorescencia

16 Revista Bioreview®

Tabla 2. Resumen de los principales signos y síntomas

Sistema evaluado

Principales síntomas

Cardiovascular Renal

Nervioso

Digestivo

Respiratorio

Osteoarticular

Sistema endocrino

Hemostasia y coagulación

Forma de manifestación habitual

Astenia y disnea de esfuerzo

Astenia o disnea de esfuerzo, intolerancia al ejercicio, hipotensión arterial, síncope Eventualmente con la evolución de la enfermedad también desarrollará signos de congestión pulmonar y sistémica

Proteinuria, síndrome nefrótico

Polineuropatía sensitivo-motora progresiva lenta, neuropatía autonómica, síndrome del túnel carpiano, estenosis espinal

Macroglosia, hepatomegalia, hipoesplenismo

Insuficiencia respiratoria, nódulos pulmonares

Poliartropatía progresiva simétrica y bilateral

Síndrome de Sjögren o insuficiencia adrenal o tiroidea

Fragilidad vascular, déficit de factores de coagulación o aumento de proteínas fibrinolíticas (sangrados espontáneos, equimosis)

Tabla 3. Recomendaciones generales para el manejo de un paciente bajo sospecha de amiloidosis.

Recomendaciones

• Confirmación en el tejido mediante biopsia y tinción con rojo Congo con la característica birrefringencia verde bajo luz polarizada.

• Confirmación mediante microscopía electrónica en el tejido de biopsia.

• Tipificación de la proteína mediante espectrometría de masa.

• Tipificación de la proteína mediante inmunomicroscopía óptica y/o electrónica, en la medida que haya anticuerpos confiables.

• Medición de las cadenas livianas libres séricas para evaluación de un trastorno proliferativo de células plasmáticas monoclonales.

• Inmunofijación sérica y urinaria para la evaluación de un trastorno proliferativo de células plasmáticas monoclonales.

• Medición de las cadenas livianas libres séricas, más la inmunofijación sérica y urinaria para la evaluación de un trastorno proliferativo de células plasmáticas monoclonales.

• Demostración de un trastorno proliferativo de células plasmáticas monoclonales mediante la demostración de plasmocitos clonales por la técnica más sensible disponible en la médula ósea para el diagnóstico de amiloidosis de tipo AL.

18 Revista Bioreview®
19
Año XII · Número 142 · Junio 2023
Diagnóstico Clínico Aplicado

directa, siendo preferible esta última por mayor tasa de éxito. En los casos que las pruebas rutinarias de inmunofluorescencia directa y/o inmunohistoquímicas no pueden tipificar definitivamente los depósitos de amiloide, la microdisección láser y el análisis proteómico basado en espectrometría de masas es una herramienta precisa y útil.

Biomarcadores

La Clínica Mayo recomienda de manera estandarizada dosificar la porción amino-terminal de péptido natriurético tipo B (NT pro BNP) y troponina ultrasensible (TnT us) y en 2012 incorporó la presencia de cadenas libres.

La combinación de NT pro BNP, TnT us y función renal también es útil en su estratificación. A su vez, la combinación de TnT us y dos parámetros derivados del strain cardiaco permiten una exactitud diagnóstica de aproximadamente el 98% sobre afección cardiaca en pacientes con amiloidosis AL6,7.

Otros biomarcadores novedosos (orientados a la fibrosis cardiaca), como la porción soluble de STS2 (sSTS2) y la galactina 3 pueden ser utilizados, pero solo el sSTS2 se comporta como marcador independiente de supervivencia en la amiloidosis Al8.

Electrocardiograma

La afectación del sistema de conducción es más común en la amiloidosis por transtiretina. Cambios característicos son el bajo voltaje frontal, especialmente si en otros exámenes como en el ecocardiograma, hay signos de hipertrofia y ondas Q en precordiales (aunque también pueden verse en derivaciones del plano axial) con un patrón conocido como pseudoinfarto o pseudofibrosis, el cual tiene implicaciones negativas en el pronóstico señalando menor sobrevida a un año y mayor impacto estructural9. Pueden observarse ectopias supraventriculares y ventriculares, siendo la arritmia más frecuente la fibrilación auricular y el flutter auricular (20%), habitualmente con trastornos de conducción (PR prolongado, bloqueo AV completo en 3%, trastornos de conducción intraventricular inespecíficos)10.

Holter y cambios electrofisiológicos

Puede observarse disminución de la variabilidad por disfunción autonómica, y arritmias de todo tipo. Tanto el nódulo sinusal como auriculoventricular suelen estar preservados, los tiempos infrahisianos usualmente son pro-

longados, mayores a 55 ms, lo cual es un predictor de muerte súbita11,12.

Ecocardiograma

Lo característico de esta enfermedad es que el infiltrado afecta aurículas y tabique interauricular, aumento simétrico del espesor parietal ventricular derecho e izquierdo con un aspecto brillante moteado tipo granular y sistema de conducción. Los cambios para comenzar a considerar el diagnóstico diferencial de AC son la relación Ee´ > 9.6, el volumen auricular izquierdo indexado y la disminución en la fracción de contractilidad miocárdica o fracción de acortamiento. Además, entre otros parámetros habituales pueden citarse el índice de excentricidad o espesor parietal relativo, ―ya que el fenotipo habitual en los pacientes con AC es de hipertrofia ventricular izquierda (HVI) concéntrica―, y el engrosamiento difuso valvar13.

Inicialmente, disminuye la complacencia auricular y aumenta la presión intraauricular, lo que lleva a que se ocupe menor tiempo tanto en el llenado ventricular como en el auricular. El descenso del llenado diastólico precoz es compensado por un enérgico llenado diastólico final, lo que, en estadios avanzados de la enfermedad, se traduce en una pseudonormalizacion del patrón. Por otro lado, otros autores han observado que la progresión de la enfermedad conlleva deterioro precoz de la diástole, pero no puede diferenciarse si este cambio se debe al envejecimiento normal celular. Es decir, que pueden observarse un patrón transmitral tipo pseudonormal, más habitual, o un patrón prolongado, el cual deberá diferenciarse de los cambios producidos por el envejecimiento. Otro aspecto a considerar es la afectación de la válvula mitral, ya que se ha observado una alta prevalencia de insuficiencia mitral que altera el patrón de llenado ventricular. Conforme avanza la enfermedad también se observan cambios en el patrón de las venas pulmonares. La evaluación de la función diastólica se correlaciona con la gravedad de la enfermedad y puede ser utilizada en su seguimiento14,15.

Permite distinguir el fenotipo de miocardiopatía hipertrófica concéntrica, ya que se sabe que la AC tipo AL suele presentarse con forma simétrica, no así su homóloga por transtirretina (TTR)22. En la AC, el espacio extracelular expande su presencia con base en el depósito amiloide, lo que conduce a mayor concentración de gadolinio y, por tanto, a mayor realce tardío (RTG) en forma subendocárdica difusa o transmural16.

20 Revista Bioreview®
Resonancia magnética (RM)
21 Año XII · Número 142 · Junio 2023
22 Revista Bioreview®
23 Diagnóstico
Año XII · Número 142 · Junio 2023
Clínico Aplicado

El mapeo en T1 antes de la administración de contraste (llamado T1 nativo) puede utilizarse para medir la señal intrínseca del miocardio, que, emparejado con el estudio posterior a la administración de gadolinio, puede utilizarse para calcular el VEC. Tanto el T1 nativo como el VEC están aumentados en amiloidosis AL o por TTR, incluso el T1 nativo parece estar aumentado antes que la evidente HVI, la RTG o los biomarcadores, y puede utilizarse en pacientes con deterioro importante de la función renal. Por otra parte, T1 es mayor en pacientes con amiloidosis AL, mientras que en su homólogo por TTR el VEC es preponderante17.

También es útil una señal de alta intensidad en T2, influenciada por el edema tisular. La señal en T2 se encuentra incrementada tanto en amiloidosis AL como por TTR, siendo más relevante en la primera, lo que da una idea de su fisiopatología18.

Gammagrafía ósea con radionucleótidos

El aporte principal es para la amiloidosis por TTR, ya que posee un alto valor predictivo positivo para ésta, y es menos útil con resultados intermedios.

Puede utilizarse el centellograma óseo para cuantificar la captación cardiaca del radiotrazador (habitualmente

Tc-pirofosfato, TC-DPC, Tc hidroxymethylene DP). La evaluación se realiza en forma semicuantitativa, comparando la intensidad cardiaca con las costillas (método de Perugini) o con la región corazón/pulmón contralateral.

Tomografía por emisión de positrones

Se trata de una herramienta emergente para el diagnóstico de AC. Ciertos trazadores tienen afinidad por las proteínas plegadas tipo Beta e identifican el depósito amiloide independientemente del precursor, además de que tienen la ventaja de ser métodos cuantitativos19.

En la tabla 4 se presentan los estudios complementarios básicos a solicitar según el orden de complejidad, a sabiendas de que estos pueden ser útiles en el diagnóstico y el pronóstico de la enfermedad. En la tabla 5 se resumen los principales hallazgos de los estudios complementarios orientativos hacia la AC. En la figura 4 20 se presenta un algoritmo diagnóstico simplificado propuesto por el Grupo de trabajo de enfermedades del miocardio y pericardio de la Sociedad Europea de Cardiología. Del análisis se desprende que, de existir alta sospecha de este subtipo de enfermedad, la RM aporta más información que la gammagrafía y, acorde con la disponibilidad de estudios complementarios, este algoritmo podría simplificarse sin la utilización de la misma.

Histopatología

Laboratorio específico

Laboratorio y estudios complementarios generales

Rojo Congo positivo de tejido afectado, inmunohistoquímica o inmunofluorescencia, estudio genético, espectrometría de masas

Medición cuantitativa de cadenas ligeras libres de inmunoglobulina en suero, detección cualitativa de cadenas ligeras monoclonales en suero u orina utilizando electroforesis de inmunofijación y biopsia de médula ósea con citometría de flujo o inmunohistoquímica

Riñón: análisis de orina en 24 h, creatininemia, nitrógeno ureico; Corazón: ECG, ecocardiograma, RMN, gammagrafía, TnT us, NT pro-BNP; hígado: hepatograma; pulmón: Rx o tomografía de tórax, pruebas de función pulmonar; GI: albuminemia, hemoglobina (anemia), biopsia

GI: gastrointnestinal; ECG: electrocardiograma; RMN: resonancia magnética nuclear; TnT us: troponina T ultrasensible; NT Pro BNP: porción amino terminal del péptido natriurético cerebral; Rx: radiografía.

24 Revista Bioreview®
Tabla 4. Resumen de los principales estudios complementarios.

Tabla 5. Principales aportes específicos y orientativos de los estudios complementarios habituales en el diagnóstico de amiloidosis cardiaca

Estudios complementarios

Electrocardiograma

Ecocardiograma

Hallazgo sugestivo de amiloidosis

Bajo voltaje, patrón pseudoinfarto o pseudofibrosis, fibrilación auricular, bloqueo aurículo-ventricular de alto grado

Cambios estructurales

Ventrículo derecho

Aurículas

Función diastólica

Velocidad Doppler tisular

Función sistólica

Deformación longitudinal global

Hipertrofia ventricular con espesor mayor a 12 mm sin causa que lo justifique, cavidad pequeña, distribución simétrica. Aspecto granular. Espesor parietal relativo aumentado, usualmente mayor a 60

Espesor aumentado (mayor a 5 mm), función sistólica disminuida (TAPSE <19)

Engrosamiento tabique interauricular, ambas aurículas y su dilatación

Disfunción grado 2 o mayor. Relación E/e×aumentada (usualmente mayor a 11). La Velocidad de propagación suele ser normal (por ventrículo pequeño)

Disminuidas, menores a 8 o incluso 5 cm, relación diástole temprana/tardía (e×/a×) disminuye con la progresión de la enfermedad

Normal a leve disminución (afectación en estadios avanzados)

Afectación basal con relativa conservación apical (< -15). Relación strain longitudinal ápex/base > 2.9

Resonancia magnética nuclear

Fenotipo

Sin utilización de contraste

Con utilización de contraste

Hipertrófico, simétrico o asimétrico.

Mapeo en T1 nativo; señal en T2, marcador de edema tisular

Determinación del VEC, distribución del realce tardío

Centellograma óseo

Comparación con estructuras óseas aledañas por método de Perugini, escala del 0 al 3 Comparación con la región contralateral

25 Diagnóstico Clínico Aplicado Año XII · Número 142 · Junio 2023

SOSPECHA DE AMILOIDOSIS

Signos/síntomas de insuficiencia cardíaca. ECG, ecocardiograma o RMN sugestiva, sin causa secundaria que lo justifique y algún marcador de atención (*)

Centellograma grado 0, negativo / hematológico negativo.

Amilodosis poco probable.

Centellograma grado 1, indeterminado / hematológico negativo.

Confirmación histológica.

Test hematológico y centellograma óseo

Centellograma grado 2-3, positivo / hematológico negativo.

Amiloidosis cardíaca por TTR

Centellograma grado 0, negativo / hematológico positivo.

Centellograma óseo 1-3, indeterminado o positivo / hematológico positivo.

Amilodosis cardíaca AL probable. Confirmar con RMN y/o histológico.

Confirmación histólogica

Evaluación pronóstica

Para la evaluación estandarizada de pacientes con amiloidosis AL, la Clínica Mayo propone la utilización de TnT, NT-proBNP y técnicas de imagen21,22. Como se mencionó previamente, T1 nativo y la intensidad en T2 también aportan información pronóstica útil en este subtipo de la enfermedad.

Seguimiento

Si bien el NT-proBNP y los datos aportados por la ecocardiografía son los más utilizados en la actualidad, los mismos no identifican o cuantifican directamente la proteína amiloidogénica, sino sus consecuencias. Por lo tanto, la RM pareciera ser la técnica ideal, aunque contrasta por su menor disponibilidad.

Tratamiento

El tratamiento puede orientarse hacia la enfermedad de base o a sus diversas consecuencias en los sistemas implicados. Se hará hincapié en el sistema cardiovascular ya que presenta notables diferencias respecto de otras causas de IC. Por su impacto sistémico, esta enfermedad suele acompañarse de insuficiencia renal, síndrome nefrótico, hipotensión y disfunción autonómica, lo cual complica el manejo de la IC. Debe realizarse un seguimiento cercano del medio interno, función renal y clínica de los pacientes, indicarse una dieta reducida en sodio y pesarse diariamente para hacer seguimiento domiciliario de la volemia.

La utilización de inhibidores de la enzima convertidora de angiotensina o antagonistas del receptor de angiotensina suele ser mal tolerada y empeora los síntomas, y si bien

26 Revista Bioreview®
Figura 4. Algoritmo diagnóstico simplificado. (Adaptada de Garcia-Pavia P et al.20.) *Los marcadores de atención o banderas rojas de amiloidosis son signos de alta sospecha de la enfermedad como paciente mayor de 65 años con insuficiencia cardiaca y fracción de eyección preservada, disfunción autonómica o sensitivo-motora, proteinuria o insuficiencia renal sin causa aparente, hematomas, strain con predominio de afectación basal, ECG con bajo voltaje, pseudofibrosis, trastornos de la conducción AV. ECG: electrocardiograma. RM: resonancia magnética.

el estudio PARAGON demostró beneficio en ciertos subgrupos para la utilización de sacubitrilo/valsartán, no se recomienda su uso generalizado.

Existe controversia respecto a la indicación de CDI ya que se sabe que no modifica el curso de la enfermedad, pero esto no ha sido evaluado en estudios aleatorizados en AC tipo AL; sin embargo, en vista de los últimos avances, existen subgrupos que podrían beneficiarse y se propone un sistema subcutáneo para disminuir el umbral de descarga23.

El uso de betablqueadores (BB) es inseguro debido a la tendencia a hipotensión y neuropatía de estos pacientes; además, el gasto cardiaco relativamente fijo depende de la taquicardia como mecanismo de compensación, Por consiguiente, de ser necesario su uso, se recomienda en la dosis más baja posible.

Los calcioantagonistas cronotrópico-negativos (verapamilo y diltiazem) suelen ser poco tolerados por su efecto inotrópico negativo intrínseco y vasodilatador, y, además, se ha observado afinidad por las proteínas amiloides lo que prolonga y determina incertidumbre en sus efectos adversos24,25. Tanto las frecuencias cardiacas bajas (menos de 60-80 latidos por minuto) como elevadas (mayores a 110-

120) son mal toleradas.

Respecto al uso de digoxina es preferible en lugar de los BB en el contexto de un manejo agudo de fibrilación auricular de alta respuesta ventricular manteniendo dosis baja, tanto de carga como mantenimiento (< 0,8 ng/dl) y monitorizar frecuentemente la función renal, los electrolitos y la digoxinemia. Si bien se piensa que mantener el ritmo sinusal y preservar la fisiología normal trae beneficios en el contexto de la fisiología restrictiva, esto no ha sido comprobado en estudios a largo plazo26. Además, la contribución auricular en el llenado restrictivo es menor y existe una alta tasa de recidiva en el caso de reversión a ritmo sinusal. Como antiarrítmico debe pensarse en amiodarona y, en el caso de no poder establecerse un control eficaz, la ablación del nódulo AV e implantación de marcapaso puede ser una opción27.

Estos pacientes tienen un riesgo trombótico mayor, con la formación de trombos en la orejuela izquierda incluso en ritmo sinusal, por lo que en presencia de arritmias auriculares deben ser anticoagulados independientemente de su nivel de CHA2DS2-VASc u otros parámetros, como la velocidad de vaciado de la orejuela izquierda (que si bien se relaciona con aumento de eventos tromboembólicos, no debe guiar el tratamiento), y en el caso de fibrilación

Marcadores Cardíacos

IF 1001-Troponina Cardiaca I (cTnI)

IF 1002 CK-MB

IF 1003 CK-MB/cTnI/Mioglobina

IF 1004-CK-MB/cTnI/H-FABP

IF 1005-CK-MB/cTnI

IF 1006-hs-cTnI-Alta sensibilidad

IF 1007-NT-proBNP (péptido natriurético B)

IF 1008-H-FABP

IF 1009-TnT

Marcadores Inflamación

IF 1101-IL-6 Fast

IF 1102-PCT/CRP

IF 1103-hs-CRP+CRP

IF 1104-PCT

Hemostasia

IF 1201-D-Dimer

Función renal

IF1301-CysC

Analizador Point of Care Resultados cuantitativos en minutos MARCADORES CARDÍACOS-HEMATOLÓGICOS E INFLAMATORIOS

Inmunocromatografía lateral fluorescente

27 Diagnóstico Clínico Aplicado Año XII · Número 142 · Junio 2023 (0223) 4783900 • +54 9 22 3540 4766 • ventas@iacinternacional.com.ar • iacinternacional.com.ar

auricular en la cual se decida control del ritmo, debe hacerse previamente un ecocardiograma transesofágico. Por otro lado, debe cotejarse su riesgo de sangrado aumentado por mayor fragilidad capilar (incluso intestinal) o deficiencia de factor X, que incluso pueden contraindicar su anticoagulación.

Respecto al tipo de anticoagulante, existe evidencia tanto del uso de antivitamina K y anticoagulantes directos con similar eficacia y riesgos de sangrado, por lo que la decisión deberá ser tomada en forma interdisciplinaria28-30. En pacientes con disfunción autonómica grave e hipotensión sintomática puede utilizarse midodrina, iniciando 2,5 mg 3 veces por día, hasta una dosis de 10 mg, 3 veces por día31.

Una piedra angular en el tratamiento consiste en el mantenimiento de la euvolemia. El derrame pleural recidivante suele ser una constante, por lo que debe plantearse pleurocentesis, pleurodesis y colocación de tubos de drenaje en caso de complicación aguda o que la magnitud del mismo empeore los síntomas. Los edemas en las extremidades inferiores resultan beneficiados de la utilización de medias de compresión. Cuando estos son recidivantes o ante síntomas de congestión, deben utilizarse diuréticos del asa, solos o combinados con otro tipo de diurético (en este sentido, los antagonistas del receptor aldosterónico tienen beneficio clínico comprobado devenido del estudio TOPCAT). Sin embargo, estos fármacos pueden producir disminución del gasto cardiaco.

Pueden presentarse insuficiencia renal, síndrome nefrótico e incluso llegar a la necesidad de diálisis sanguínea o peritoneal (estas con similar supervivencia). En algunos casos puede indicarse transplante renal, cuando la remisión hematológica haya estado presente por al menos un año.

Debido a su habitual presencia de trastornos de la conducción auriculoventricular (AV), muchos pacientes presentan indicaciones clásicas para colocación de marcapaso o, en otras ocasiones, si se presentase bradicardia sintomática por neuropatía autonómica, en cualquier caso siempre se preferirá su modalidad bicameral para mantener la sincronía AV y la contribución auricular al llenado del ventrículo restrictivo. El trasplante cardiaco no es considerado una estrategia frecuente, debido al impacto sistémico de la enfermedad con otros órganos afectados, además del corazón trasplantado, lo cual aumenta la mortalidad en la espera del órgano y la mortalidad posterior.

Recientemente se han introducido los inhibidores del cotransportador sodio/glucosa para el manejo de la enfermedad y tienen relevancia tanto en el contexto de fracción de eyección reducida como preservada, independientemente de la presencia de diabetes mellitus tipo 2. A la luz de recientes ensayos clínicos y estudios sobre su mecanismo de acción, tienen beneficios particulares en la enfermedad, como no producir hipovolemia, bradicardia ni hipotensión

28 Revista Bioreview®

significativas, aunque a la fecha se carece de estudios aleatorizados específicos en dicha enfermedad32-34.

Conclusiones

La AC tipo AL es una enfermedad poco frecuente sobre la cual están dándose importantes avances tanto diagnósticos como terapéuticos. Su identificación precoz traerá beneficio al paciente ya que el tratamiento radica principalmente en conocer la enfermedad de base y sostén de la IC, que constituye el principal factor pronóstico. El diagnóstico se basa en la identificación en sangre y orina de cadenas livianas, apoyado de su tipificación e imágenes cardiacas concordantes, y raras veces es necesaria la biopsia en la actualidad. La gammagrafía ósea es un método que aporta información para descartar su homóloga por transtirretina.

Agradecimientos: A la Sociedad Colombiana de Cardiología y a los integrantes de los servicios de cardiología de los Hospitales El Carmen y Ramón Carrillo.

REFERENCIAS BIBLIOGRÁFICAS

1. RyšaváR. AL amyloidosis:advances in diagnostics and treatment. Nephrol Dial Transplant. 2019;34(9):1460-66.

2. Quock TP, Yan T, Chang E, Guthrie S, Broder MS. Epidemiology of AL amyloidosis:a real-world study using US claims data. Blood Adv. 2018;2(10):1046-53.

3. Koh Y. AL amyloidosis:advances in diagnosis and management. Blood Res. 2020;55(S1):S54-7.

4. Rapezzi C, Merlini G, Quarta CC, Riva L, Longhi S, Leone O, et al. Systemic cardiac amyloidoses:disease profiles and clinical courses of the 3 main types. Circulation. 2009;120(13):1203-12.

5. Bajwa F, O’Connor R, Ananthasubramaniam K. Epidemiology and clinical manifestations of cardiac amyloidosis. Heart Fail Rev. 2021;10.1007.

6. Kumar S, Dispenzieri A, Lacy MQ, Hayman SR, Buadi FK, Colby C, et al. Revised prognostic staging system for light chain amyloidosis incorporating cardiac biomarkers and serum free light chain measurements. J Clin Oncol. 2012;30(9):989-95.

7. Nicol M, Baudet M, Brun S, Harel S, Royer B, Vignon M, et al. Diagnostic score of cardiac involvement in AL amyloidosis. Eur Heart J Cardiovasc Imaging. 2020;21(5):542-8.

8. Dispenzieri A, Gertz MA, Saenger A, Kumar SK, Lacy MQ, Buadi FK, et al. Soluble suppression of tumorigenicity 2 (sST2), but not galactin-3, adds to prognostication in patients with systemic AL amyloidosis independent of NT-proBNP and troponin T. Am J Hematol. 2015;90:524-8.

pathologic features of 23 patients. Am J Med. 1977;62(5):677-86.

10. Zhao L, Li J, Tian Z, Fang Q. Clinical correlates and prognostic values of pseudoinfarction in cardiac light-chain amyloidosis. J Cardiol. 2016;68(5):426-30.

11. Palladini G, Malamani G, CòF, Pistorio A, Recusani F, Anesi E, et al. Holter monitoring in AL amyloidosis:prognostic implications. Pacing Clin Electrophysiol. 2001;24(8 Pt 1):1228-33.

12. Reisinger J, Dubrey SW, Lavalley M, Skinner M, Falk RH. Electrophysiologic abnormalities in AL (primary) amyloidosis with cardiac involvement. J Am Coll Cardiol. 1997;30(4):1046-51.

13. Pagourelias ED, Mirea O, Duchenne J, Van Cleemput J, Delforge M, Bogaert J, et al. Echo parameters for differential diagnosis in cardiac amyloidosis:a head-to-head comparison of deformation and nondeformation parameters. Circ Cardiovasc Imaging. 2017;10(3):e005588.

14. Rique A, Martel H, Piazzai C, Mancini J, Gravier R, Arregle F, et al. Ejection fraction basal strain ratio (EFBSR), a new accurate echocardiographic deformation parameter to screen cardiac amyloidosis among hypertrophic cardiopathies. Eur Heart J. 2021;42 (Suppl. 1) ehab724.03.

15. Yingchoncharoen T, Phelan D, Klein AL. Amiloidosis cardiaca:características ecocardiográficas. En:Roberto M. Lang, Steven A. Goldstein, Itzhak Kronzon, Bijoy K. Khandheria, Victor MorAvi:Tratado de ecocardiografía (2ª. edición), ciudad autónoma de Buenos Aires, Ediciones Journal;2019, 373-8.

16. Knight DS, Zumbo G, Barcella W, Steeden JA, Muthurangu V, Martinez-Naharro A, et al. Cardiac structural and functional consequences of amyloid deposition by cardiac magnetic resonance and echocardiography and their prognostic roles. JACC Cardiovasc Imaging. 2019;12(5):823-33.

17. Pan JA, Kerwin MJ, Salerno M. Native T. Mapping, extracellular volume mapping, and late gadolinium enhancement in cardiac amyloidosis:a meta-analysis. JACC Cardiovasc Imaging. 2020;13(6):1299-310.

18. Ridouani F, Damy T, Tacher V, Derbel H, Legou F, Sifaoui I, et al. Myocardial native T2 measurement to differentiate light-chain and transthyretin cardiac amyloidosis and assess prognosis. J Cardiovasc Magn Reson. 2018;20(1):58. Published 2018 Aug 16.

19. Martinez-Naharro A, Baksi AJ, Hawkins PN, Fontana M. Diagnostic imaging of cardiac amyloidosis. Nat Rev Cardiol. 2020;17(7):413-26.

20. Garcia-Pavia P, Rapezzi C, Adler Y, Arad M, Basso C, Brucat A, Burazor I, et al. Diagnosis and treatment of cardiac amyloidosis:a position statement of the ESC Working Group on Myocardial and Pericardial Diseases. Eur Heart J. 2021;42(16):1554-68. doi:10.1093/eurheartj/ehab072.

21. Dispenzieri A, Gertz MA, Kyle RA, Lacy MQ, Burritt MF, Therneau TM, et al. Serum cardiac troponins and N-terminal pro-brain natriuretic peptide:a staging system for primary systemic amyloidosis. J Clin Oncol. 2004;22(18):3751-7.

22. Santostefano M, Zanchelli F, Zaccaria A, Poletti G, Fusaroli M. The ultrastructural basis of renal pathology in monoclonal gammopathies. J Nephrol. 2005;18(6):659-75.

9. Ridolfi RL, Bulkley BH, Hutchins GM. The conduction system in cardiac amyloidosis. Clinical and

23. Varr BC, Zarafshar S, Coakley T, Liedtke M, Lafayette RA, Arai S, et al. Implantable cardioverter-defibrillator placement in patients with cardiac amyloidosis. Heart Rhythm.

30 Revista Bioreview®

2014;11(1):158-62.

24. Giancaterino S, Urey MA, Darden D, Hsu JC. Management of arrhythmias in cardiac amyloidosis. JACC Clin Electrophysiol. 2020;6(4):351-61.

25. Gertz MA, Skinner M, Connors LH, Cohen AS, Kyle RA. Selective binding of nifedipine to amyloid fibrils. Am J Cardiol. 1985;55(13 Pt 1):1646.

26. Rubinow A, Skinner M, Cohen AS. Digoxin sensitivity in amyloid cardiomyopathy. Circulation. 1981;63(6):1285-8.

27. Mints YY, Doros G, Berk JL, Connors LH, Ruberg FL. Features of atrial fibrillation in wild-type transthyretin cardiac amyloidosis:a systematic review and clinical experience. ESC Heart Fail. 2018;5(5):772-9.

28. Dubrey S, Pollak A, Skinner M, Falk RH. Atrial thrombi occurring during sinus rhythm in cardiac amyloidosis:evidence for atrial electromechanical dissociation. Br Heart J. 1995;74(5):541-4.

29. Feng D, Syed IS, Martinez M, Oh JK, Jaffe AS, Grogan M, et al. Intracardiac thrombosis and anticoagulation therapy in cardiac amyloidosis. Circulation. 2009;119(18):2490-7.

30. Cheung CC, Roston TM, Andrade JG, Bennett MT, Davis MK. Arrhythmias in cardiac amyloidosis:challenges in risk stratification and treatment. Can J Cardiol. 2020;36(3):416-23.

31. Wechalekar AD, Gillmore JD, Bird, J, Cavenagh J, Hawkins S, Kazmi M, Guidelines on the management of AL amyloidosis. Br J Haematol. 2015;168:186-206.

32. O’Meara E, McDonald M, Chan M, Ducharme A, Ezekowitz JA, Giannetti N, et al. CCS/ CHFS Heart Failure Guidelines:Clinical Trial Update on Functional Mitral Regurgitation, SGLT2 Inhibitors, ARNI in HFpEF, and Tafamidis in Amyloidosis. Can J Cardiol. 2020;36(2):159-69.

33. McDonagh TA, Metra M, Adamo M, Gardner RS, Baumbach A, et al. 2021 ESC Guidelines for the diagnosis and treatment of acute and chronic heart failure [published correction appears in Eur Heart J. 2021 Oct 14. Eur Heart J. 2021;42(36):3599-726.

34. Danzmann LC, Zimmer JRC, Tscheika AP. Heart failure with preserved ejection fraction and cardiac amyloidosis:implications for treatment. ABC Heart Fail Cardiomyop. 2021;1(2):98-102.

Financiamiento: Los autores declaran que no se recibió financiamiento para la realización del mismo - Responsabilidades éticas: Protección de personas y animales. Los autores declaran que para esta investigación no se han realizado experimentos en seres humanos ni en animales - Confidencialidad de los datos. Los autores declaran que han seguido los protocolos de su centro de trabajo sobre la publicación de datos de pacientes. - Derecho a la privacidad y consentimiento informado. Los autores declaran que en este artículo no aparecen datos de pacientes - Conflicto de intereses: No existen conflicto de intereses en ninguno de los autores.

Copyright: © 2022 Sociedad Colombiana de Cardiología y Cirugía Cardiovascular

Creative Commons License Instituto Nacional de Cardiología Ignacio Chávez. Published by Permanyer. This is an open ccess article under the CC BY-NC-ND license - Calle 127 No 16A-76 Oficina 503 - Bogotá-Colombia - publicaciones@scc.org.co

31 Diagnóstico Clínico Aplicado Año XII · Número 142 · Junio 2023

Seroprevalencia del antígeno de superficie del virus de hepatitis B en donantes de sangre

ARTÍCULO ORIGINAL

Niurka Aurora Ali Pérez1* - http://orcid.org/0000-0001-6483-2218

Ariel Arturo Matos Bayeau1 - http://orcid.org/0000-0002-7387-3991

Berta Cuevas Ramos1 - http://orcid.org/0000-0003-0678-6174

Yanet Miranda Revilla1 - http://orcid.org/0000-0003-0457-7328

1Banco de Sangre Provincial “Renato Guitart Rosell”, Santiago de Cuba, Santiago de Cuba, Cuba

Acta Médica del Centro - versión On-line ISSN 2709-7927

Acta méd centro vol.16 no.4 Santa Clara oct.-dic. 2022 Epub 31-Dic-2022

Resumen

Introducción: las hepatitis virales son un problema en la salud pública mundial y son una de las enfermedades que afectan al hombre.

Objetivo: conocer la seroprevalencia del antígeno de superficie de la hepatitis B en donantes de sangre.

Métodos: se realizó un estudio retrospectivo con el objetivo de determinar la seroprevalencia del virus de la hepa-

32 Revista Bioreview®

titis B en 93 440 donantes en el Banco de sangre provincial “Renato Guitart Rosell” de Santiago de Cuba. El período estudiado estuvo comprendido de octubre de 2015 a mayo de 2016.

Resultados: se mostró un ligero decrecimiento de la prevalencia de portadores de antígeno de superficie de la hepatitis B a través de los tres años estudiados. La mayor reactividad a este marcador estuvo en el grupo de 41 a 50 años y predominó el sexo masculino. Se encontró que el 0,30% resultó seropositivo al virus de la hepatitis B.

Conclusiones: el cumplimiento de los procedimientos establecidos para la adecuada selección del donante de sangre y la calidad y la seguridad de los resultados en las determinaciones de laboratorio de la prevalencia de portadores de antígeno de superficie de la hepatitis B, unido al reclutamiento de donantes de sangre voluntarios, altruistas no remunerados, ha permitido que se logre una baja seroprevalencia en la Provincia de Santiago de Cuba.

Palabras clave: hepatitis B; estudios seroepidemiológicos; prevalencia; donantes de sangre

Abstract: Seroprevalence of the hepatitis B virus surface antigen in blood donors

Introduction: viral hepatitis is a health problem world public, being one of the diseases that affect man.

Objective: to know the seroprevalence of the surface antigen of the hepatitis B in blood donors.

Methods: a study was conducted retrospective in order to determine the seroprevalence of the hepatitis B virus in 93,440 donors, in the Blood Bank Provincial “Renato Guitart Rosell” of Santiago de Cuba. The term studied ranged from October 2015 to May 2016.

Results: there was a slight decrease in the prevalence of hepatitis B surface antigen carriers during the three years studied. The highest reactivity to this marker was in the group aged 41 to 50 years and the male sex predominated. It was found that 0.30% were seropositive for hepatitis B virus.

Conclusions: the fulfillment of the established procedures for the adequate selection of the blood donor and the quality and safety of the results in the laboratory determinations of the prevalence of hepatitis B surface antigen carriers, together with the recruitment of voluntary, altruistic and nonremunerated blood donors, has allowed achieving a low seroprevalence in the Province of Santiago de Cuba.

Key words: hepatitis B; seroepidemiologic studies; prevalence; blood donor

Introducción

Las hepatitis virales son un problema en la salud pública mundial y son una de las enfermedades que afectan al hombre; los organismos que la causan son los virus que van de las hepatitis A hasta la E; sin embargo, los virus de la hepatitis B (VHB) y C (VHC) son de particular interés clínico, probablemente debido a su virulencia y a la progresión a la cronicidad. La cirrosis o el carcinoma hepatocelular relacionados a la infección por VHB causaron aproximadamente 887000 muertes en el año 2015 en todo el mundo.1 Está documentado a nivel mundial que más de dos billones de personas están infectada con VHB.2

El predominio de infección del VHB varía según las áreas geográficas. En las áreas de bajo endemismo como los Estados Unidos, Europa Occidental, Australia y Nueva Zelanda la prevalencia de portadores de antígeno de superficie de la hepatitis B (AgsHB) está entre el 0,1 y el 2%; en Latinoamérica es de aproximadamente 0,48%.2 En Cuba, a pesar de los esfuerzos realizados para erradicar la infección, todavía se informa una baja prevalencia del AgsHB (0,6% en donantes de sangre).3

Se reconocen cuatro vías de transmisión del VHB: la parenteral, considerada como la más importante, la sexual, la perinatal o vertical (de madre a hijo) y la horizontal (contacto prolongado con personas infectadas).4

En la actualidad la transfusión de sangre es una parte esencial de los servicios de salud modernos, usada correctamente puede salvar vidas y mejorar la salud; sin embargo, la transmisión de agentes infecciosos por la sangre y los componentes sanguíneos han enfocado una particular atención a los riesgos potenciales de la transfusión.5

La seguridad de los productos de la sangre depende, en gran medida, de la calidad en la selección de los donantes de sangre y de la realización confiable de los ensayos del laboratorio en busca de enfermedades.6 Es responsabilidad de los bancos de sangre el adecuado cumplimiento de los requisitos para la selección de los donantes y el procesamiento de cada una de las unidades de sangre. El tamizaje para despistaje del VHB forma parte de los marcadores serológicos obligatorios a realizar en los donantes de sangre.7

La repercusión que tiene el VHB sobre la salud humana a nivel mundial y que en la Provincia de Santiago de Cuba no se haya realizado, en etapa reciente, un estudio epi-

33 Diagnóstico Clínico Aplicado Año XII · Número 142 · Junio 2023

demiológico de este marcador en donantes de sangre motivó la realización de la presente investigación, que tiene el objetivo de conocer la seroprevalencia del AgsHB en el Banco de sangre provincial de esta ciudad.

Métodos

Se realizó un estudio retrospectivo de la seroprevalencia del AgsHB en donantes de sangre en el Banco de sangre provincial de Santiago de Cuba “Renato Guitart Rosell”, de la provincia del mismo nombre, en el período comprendido de enero de 2015 a diciembre de 2017.

El universo estuvo constituido por los 98280 donantes de sangre que acudieron al Banco de sangre en el período evaluado y la muestra fueron los 93440 que realizaron su donación. Como criterio de inclusión se escogieron los donantes con edades comprendidas entre 18 y 65 años, sanos, que cumplieron con los requisitos establecidos para la selección de donantes y que ofrecieron su consentimiento informado.

Las variables utilizadas en este estudio fueron: número de donaciones voluntarias realizadas, grupos etarios, sexo y seropositividad al AgsHB, según lo establecido en los procedimientos de banco de sangre y servicio de transfusiones. Se respetaron las consideraciones éticas vigentes para la asistencia médica y la atención a los donantes de sangre.

A los donantes objeto de estudio se les realizó la detección del AgsHB en suero mediante la tecnología SUMA, utilizando los kit reactivos de tercera generación (UMELISA AgsHB-Plus). A las muestras que resultaron reactivas se les realizó el ensayo confirmatorio (prueba confirmatoria AgsHB) en el propio laboratorio del Banco de sangre. Para este estudio se tomaron como seropositivas las que resultaron positivas en la prueba confirmatoria.

La información fue tomada del control de las donaciones de sangre y del Registro de los resultados del AgsHB en

el Departamento de Estadística del centro. Se utilizó el programa estadístico IBM SPSS Statistics versión 22 para el cálculo de las frecuencias absoluta y relativa como medidas de resumen para las variables empleadas, el resultado se expresó en por cientos.

Todos los resultados se expusieron en tablas y en gráfico de frecuencia; además se utilizaron el Microsoft Excel y el Word para analizar los datos y emitir las conclusiones finales de la investigación.

Resultados

En esta investigación, realizada durante tres años (20152017) en el Banco de sangre provincial, se determinó la seroprevalencia del AgsHB en donantes de sangre, la que mostró un ligero descenso a través de los años: 130 (0,40%) en 2015, 115 (0,37%) en 2016 y 37 (0,12%) en 2017, que fue la más baja (Tabla 1).

La mayor reactividad a este marcador estuvo en el grupo de 41 a 50 años (94, 33,3%), seguido del comprendido entre los 51 y 65 años (65, 23%); sin embargo, la categoría de 18 a 20 años fue la de menor seroprevalencia (3, 1,06%) -Tabla 2-.

Hubo un predominio del sexo masculino en los tres años de estudio (217, 76,9%) a diferencia del sexo femenino (65, 23%) -Tabla 3-.

En el período fueron analizadas 93 440 donaciones de sangre voluntarias, resultaron seropositivas para el marcador serológico del AgsHB 282 (0,30%).

Discusión

Esta investigación mostró un descenso en la prevalencia del AgsHB a través de los años de estudio atribuible, en gran medida, a la aplicación de un programa informático efectivo que permite la exclusión de casos seropositivos, el perfeccionamiento en la selección de los donantes de

34 Revista Bioreview®
Tabla 1. Seroprevalencia del virus de la hepatitis B en tres años de estudio.

EFEMÉRIDES JUNIO

04 | Día Argentino del Médico Rural 06 | Primera Vacunación Antirrábica en un Ser Humano 12 | Día Argentino de la Medicina Social 15 | Día Argentino del Bioquímico 28 | Día Mundial contra la Hepatitis (OMS)

sangre y el reclutamiento de donantes voluntarios, altruistas y no remunerados.

Resultados similares se obtuvo en un estudio realizado en Ciego de Ávila con el mismo tipo de población en el que se apreció un notable descenso en la prevalencia del AgsHB en los años 2009 y 2011.8

Estudios realizados en Latinoamérica mostraron una baja prevalencia del marcador serológico de hepatitis B en donantes de sangre.9,10,11 Los resultados exhibidos en diferentes países de América pudieran estar ligados a la introducción de campañas de vacunación y al uso de donantes de reposición y no comerciales, entre otros factores.

En este estudio la mayoría de los donantes seropositivos al AgsHB se encontraban entre los 41 y los 50 años. En contraposición Martínez Sarmiento encontró en Ciego de Ávila un predominio de la categoría de 31 a 40 años de edad (23,3%).8

En investigaciones realizadas en el continente africano en donantes de sangre también hubo variaciones en los grupos etarios predominantes. En Sudáfrica la seroprevalencia del AgsHB fue de un 0,9% a un 1,3% entre los investigados que tenían de 30 a 49 años de edad y solamente un 0,2% entre los de menos de 20 años.12

En este trabajo predominó el sexo masculino en los donantes seropositivos al AgsHB, lo que se corresponde precisamente con los que ejercen el mayor número de las donaciones de sangre. En un estudio realizado en Sudáfrica la

prevalencia al AgsHB fue de 0,9% en donantes masculinos y 0,5% en los femeninos.12 Iguales resultados obtuvo Bedada Hundie en Etiopía.13

Desde tiempos muy remotos la práctica de la donación de sangre siempre ha sido más frecuente en hombres aparentemente sanos; sin embargo, existen informes de participación femenina en la donación de sangre que llega a ser de aproximadamente un 50%, por ejemplo, en España el 46% de los donantes son mujeres, en Portugal el 43%, en Bélgica el 45,4%, en los Países Bajos el 50%, en Dinamarca el 50%, en Francia el 50%, en el Reino Unido el 53% y en Finlandia el 55%.14

La seroprevalencia del VHB en donantes de sangre de Santiago de Cuba fue inferior a la informada en otras provincias con el mismo grupo poblacional. El estudio realizado en donantes de sangre en Pinar del Rio informó una prevalencia de 0,7% para este marcador serológico.6

Estudios realizados en donantes de sangre en Latinoamérica en diferentes períodos presentaron una baja prevalencia a este marcador serológico: Honduras con un 0,22%,9 Perú con 0,41%10 y Colombia con 1,6%; fue estadísticamente mayor en donantes no repetitivos y de primera vez;11 sin embargo, se contrapone a estos resultados la investigación realizada en Haití, país caribeño que mostró un 3,80%.15

Los informes encontrados en la literatura referente al comportamiento de la prevalencia del AgsHB en el continente africano son muy variables en los donantes de sangre, incluso dentro de un mismo país. En Nigeria, país

37 Diagnóstico Clínico Aplicado Año XII · Número 142 · Junio 2023
Grupo de edades
Tabla 2. Seroprevalencia del virus de la hepatitis B según los grupos de edades.
18 - 20 3 1,06 21 - 30 37 13,1 31 - 40 60 21,2 41 - 50 94 33,3 51 - 60 65 23,0 61 - 65 23 8,1 N: 282 AgsHB N° % Año Seropositivos AgsHB Masculino % Femenino %
Tabla 3. Seroprevalencia del antígeno de superficie del virus de la hepatitis B según el sexo.

endémico de hepatitis B, la prevalencia ha sido muy diversa: 13,6%16 y 3,94%;17 en Sierra Leona fue de 9,7%,18 cifra similar a la informada en Cameroon (9,6%);19 en Ghana se informó un 3,6%.19

Conclusiones

El cumplimiento de los procedimientos establecidos para la adecuada selección del donante de sangre, la calidad y la seguridad de los resultados en las determinaciones de laboratorio del AgsHB, unido al reclutamiento de donantes de sangre voluntarios, altruistas no remunerados, ha permitido que se logre una baja seroprevalencia en Santiago de Cuba.

REFERENCIAS BIBLIOGRÁFICAS

1. Asociación Catalana de Pacientes Hepáticos [Internet]. Barcelona: ASSCAT; 2021 [actualizado 07/06/2018; citado 12/08/2021]. Generalidades acerca de la hepatitis B; [aprox. 2 pantallas]. Disponible en: https://asscat-hepatitis. org/hepatitis-viricas/hepatitis-b/informacion-basica-sobre-la-hepatitis-b/ generalidades-acerca-de-la-hepatitis-b/

2. Schweitzer A, Horn Mmath J, Mikolajczyk RT, Krause G, Ott JJ. Estimations of worldwide prevalence of chronic hepatitis B virus infection: a systematic review of data published between 1965 and 2013. Lancet [Internet]. 2015 [citado 12/08/2021];386(10003):1546-1555. Disponible en: https://www. sciencedirect.com/science/article/pii/S014067361561412X. https://doi. org/10.1016/S0140-6736(15)61412-X

3. Martínez Echevarría MT, Rangel Velázquez S, García Menéndez G, Martínez Piedra A, Velbes Marquetti PE, Ferreira Capote RP. Método de reacción en cadena de la polimerasa para determinar la replicación del virus de la hepatitis B. Rev Cubana Medicina Tropical [Internet]. 2018 [citado 12/08/2021];70(1):15-23. Disponible en: http://www.revmedtropical.sld.cu/ index.php/medtropical/article/view/213

4. Bello Corredor M, Rodríguez Lay LA, Rodríguez Argueta D, Montalvo Villalba MC, Pedroso Flaquet P, Sariego Frómeta S, et al. Infección oculta por el virus de la hepatitis B en hijos de madres positivas al HBsAg. VacciMonitor [Internet]. 2016 [citado 12/08/2021];25(1):12-18. Disponible en: http://scielo. sld.cu/scielo.php?script=sci_arttext&pid=S1025-028X2016000100003

5. Melians Abreu SM, Núñez López E, Esquivel Hernández M, Padrino González M. La sangre como recurso terapéutico desde la donación voluntaria y su impacto científico social. Rev Ciencias Médicas [Internet]. 2017 [citado 12/08/2021];21(1):13-24. Disponible en: http://www.revcmpinar.sld.cu/index. php/publicaciones/article/view/2649

6. Padrino González M, Melians Abreu SM, Esquivel Hernández M, Díaz Padilla

D. Laboratorio clínico y control de calidad en banco de sangre. Rev Cubana Hematol Inmunol Hemoter [Internet]. 2017 [citado 12/08/2021];33(Suplemento especial):[aprox. 5 p.]. Disponible en: http://www.revhematologia.sld.cu/ index.php/hih/article/view/848/661

7. Malca Milla JA. Seroprevalencia del marcador anti core total de hepatitis B en el Hospital Daniel Alcides Carrión Essalud, Tacna 2013-2017. Rev Méd Basadrina [Internet]. 2018 [citado 12/08/2021];12(2):10-14. Disponible en: http://www.revistas.unjbg.edu.pe/index.php/rmb/article/view/637/651

8. Martínez Sarmiento A, Isalgué González I, Valdivia Rodríguez F. Prevalencia de la infección por virus de hepatitis B y C en donantes del Banco de Sangre Provincial de Ciego de Ávila durante el período 2008-2012. MEDICIEGO [Internet]. 2013 [citado 12/08/2021];19(Supl. 2):[aprox. 6 p.]. Disponible en: http://www.revmediciego.sld.cu/index.php/mediciego/article/view/284

9. Hernández Arriaga G, Ruglas K, Alas Pineda C, Chinchilla López C, Arriaga Mendoza G, Bejarano Cáceres S, et al. Prevalence of infectious diseases and its associated factors among the blood donors of the Honduran Red CrossNorthern Region between 2014 and 2016. PLoS ONE [Internet]. 2018 [citado 12/08/2021];13(11):e0207338. Disponible en: https://journals.plos.org/ plosone/article?id=10.1371/journal.pone.0207338. https://doi.org/10.1371/ journal.pone.0207338

10. Choque Ramos OR. Seroprevalencia de marcadores infecciosos hemotransmisibles y factores de riesgo asociados en postulantes a donación en el banco de sangre del Hospital María Auxiliadora marzo 2015 - marzo 2016 [tesis]. Lima: Universidad Nacional Mayor de San Marcos; 2017 [citado 12/08/2021]. Disponible en: http://cybertesis.unmsm.edu.pe/ handle/20.500.12672/7086

11. Flórez Duque J, Cardona Arias JA. Infecciones en donantes de un banco de sangre de Medellin - Colombia, 2015-2016. Investig Andina [Internet]. 2018 [citado 12/08/2021];20(37):161-176. Disponible en: http:// revia.areandina.edu.co/ojs/index.php/IA/article/view/988. https://doi. org/10.33132/01248146.988

12. Vermeulen M, Swanevelder R, Chowdhury D, Ingram C, Reddy R, Bloch EM, et al. Use of Blood Donor Screening to Monitor Prevalence of HIV and Hepatitis B and C Viruses, South Africa. Emerg Infect Dis [Internet]. 2017 [citado 12/08/2021];23(9):1560-1563. Disponible en: https://www.ncbi.nlm. nih.gov/pmc/articles/PMC5572879/. https://doi.org/10.3201/eid2309.161594

13. Hundie GB, Raj VS, Michael DG, Haagmans BL. Seroepidemiology of hepatitis B and C virus infections among blood donors in Ethiopia. J Med Virol [Internet]. 2017 [citado 12/08/2021];89(7):1300-1303. Disponible en: https:// pubmed.ncbi.nlm.nih.gov/28121005/. https://doi.org/10.1002/jmv.24770

14. Bani M, Giussani B. Gender differences in giving blood: a review of the literature. Blood Transfus [Internet]. 2010 [citado 12/08/2021];8(4):278-287. Disponible en: https://www.ncbi.nlm.nih.gov/pmc/articles/PMC2957494/.

38 Revista Bioreview®

https://doi.org/10.2450/2010.0156-09

15. Jean Baptiste AE, Chevalier MS, Polo E, Noel E, Hulland EN, Archer WR. Trends in hepatitis B and hepatitis C seroprevalence among blood donors - Haiti, 2005-2014. ISBT Sci Ser [Internet]. 2018 [citado 12/08/2021];13(2):150-157.

Disponible en: https://www.ncbi.nlm.nih.gov/pmc/articles/PMC6314038/. https://doi.org/10.1111/voxs.12427

16. Musa BM, Bussell S, Borodo MM, Samaila AA, Femi OL. Prevalence of hepatitis B virus infection in Nigeria, 2000-2003: A systematic review and metaanalysis. Niger J Clin Pract [Internet]. 2015 [citado 12/08/2021];18(2):163-172.

Disponible en: https://pubmed.ncbi.nlm.nih.gov/25665986/. https://doi. org/10.4103/1119-3077.151035

17. Ibegbulam OG, Ugwoke CK, Umar GK, Moghalu EA, Umek N. Seroprevalence trends of hepatitis B and C among donors in the blood bank service of a Nigerian tertiary hospital: a five-year retrospective study. Nigerian J Gastroenterol Hepatol [Internet]. 2018 [citado 12/08/2021];10(1):7-13.

Disponible en: https://www.ajol.info/index.php/njgh/article/view/174274

18. Yambasu EE, Reid A, Owiti P, Manzi M, Murray M, Edwin AK. Hidden dangers-prevalence of blood borne pathogens, hepatitis B, C, HIV and syphilis, among blood donors in Sierra Leone in 2016: opportunities for improvement: a retrospective, cross-sectional study. Pan Afr Med J [Internet]. 2018 [citado 12/08/2021];30:44.Disponible en: https://www.ncbi.nlm.nih.gov/pmc/ articles/PMC6110571/. https://doi.org/10.11604/pamj.2018.30.44.14663

19. García Tardón N, Gresnigt TM, Fofanah AB, Grobusch MP. Hepatitis B and C in Tonkolili Province, Sierra Leone. Lancet [Internet]. 2017 [citado 12/08/2021];390(10101):1485. Disponible en: https://pubmed.ncbi.nlm.nih. gov/28952444/. https://doi.org/10.1016/s0140-6736(17)32390-5

*Niurka Aurora Ali Pérez. nali@infomed.sld.cu

Los autores declaran no tener conflicto de intereses en la publicación de este artículo.

NAAP y AAMB: conceptualización, curación de datos, análisis formal, investigación, metodología, visualización, redacción del borrador original, redacción (revisión y edición).

BCR: curación de datos, análisis formal, investigación, redacción (revisión y edición).

YMR: curación de datos.

Creative Commons License Este es un artículo publicado en acceso abierto bajo una licencia Creative Commons

Ave. Arnaldo Milián Castro No. 5 e/ Ave. 26 de julio y Circunvalación.

Santa Clara, Villa Clara, Cuba. CP: 50200 - (+53) 42271964, 42293203amcentro@infomed.sld.cu; actamedicadelcentro@gmail.com

39 Diagnóstico Clínico Aplicado Año XII · Número 142 · Junio 2023
Conocé la agenda de cursos 2023
Y revisa nuestras ediciones!

Síndrome Autoinmune Múltiple Tipo III

REPORTE DE CASO

Juan Sebastián Theran-Leon1, Laura Yibeth Esteban-Badillo1, Luis Andrés Dulcey-Sarmiento2 y Karen Paola Colmenares-Carrero3

1 Médico residente de medicina familiar Universidad de Santander, Bucaramanga, Colombia

2 Médico especialista en medicina interna Universidad de los Andes Venezuela

3 Médico General de la Universidad de Santander, Bucaramanga, Colombia

DOI: 10.5281/zenodo.7430345 - Creative Commons: Esta obra está bajo una Licencia Creative Commons Atribucion - No Comercial - Sin Derivadas

4.0 Internacional. Revista de Medicina Clínica 2022;06(03):e12122206026

Resumen

Se presenta el caso de una paciente femenina con antecedente de Diabetes Mellitus tipo 1 que inicia con disfagia, acompañada con resequedad en cavidad oral y vaginal que posterior a que posterior a gammagrafía de tiroides y biopsia de glándula salival se confirmó el diagnóstico de tiroiditis de Hashimoto y síndrome de Sjögren asociado.

Palabras clave: Enfermedad tiroidea autoinmune, Síndrome de Sjögren, Diabetes tipo 1

Abstract: Multiple Autoimmune Syndrome Type III. Case Report

We present the case of a female patient with a history of type 1 diabetes mellitus who started with dysphagia, accompanied by dryness in the oral and vaginal cavity. After a thyroid scan and salivary gland biopsy, the diagnosis of Hashimoto’s thyroiditis and associated Sjogren’s syndrome was confirmed.

Keywords: Autoimmune thyroid disease, Sjogren’s syndrome, Type 1 diabetes

40 Revista Bioreview®

Introducción

La tiroiditis de Hashimoto es la principal causa de hipotiroidismo en las áreas del mundo con suficiente yodo. Las características patológicas de la infiltración linfocítica, especialmente de células T, y la destrucción folicular son el sello histológico de la tiroiditis autoinmune, que conduce a atrofia y fibrosis glandular.1 Por otra parte, la prevalencia del síndrome de Sjögren es de 1:100 a 1:1000 y, por lo tanto, es la enfermedad del tejido conectivo más frecuente. Sin embargo, puede ser difícil diagnosticar ya que los síntomas suelen ser inespecíficos.2 Se presenta el caso de una paciente con antecedente de Diabetes Mellitus tipo 1 con síntomas inespecíficos que mediante estudios paraclínicos se determina la presencia de estas tres entidades.

Reporte de Caso

Se presenta el caso de una paciente femenina de 45 años de edad con antecedentes personales de Diabetes Mellitus tipo 1, sin antecedentes familiares de importancia, consulta por dificultad al paso de alimentos, claudicación mandibular, sequedad bucal, sequedad vaginal y ronquidos intensos con apnea. Al examen físico alerta con leve congestión conjuntival, boca seca hipertrofia tiroidea bilateral, de predominio izquierdo; edema en el cuello, al examen paraclínico GPT 42 U/L, LDH 500 U/L. Factor reumatoide negativo, anticuerpos antinucleares 1/80 y anticuerpo SSB negativo, Epstein-Barr, VIH, HTLV I, hepatitis B y C, negativos, función tiroidea: T4 libre <0,01 nmol/L y TSH 95 mU/L. Anticuerpos anti tiroglobulina 540 U/mL (valores normales: 0-70) y anticuerpos anti peroxidasa 215 U/mL (valores normales: 1,6-70). Se realiza punción-aspiración con aguja fina: tiroiditis linfocitaria, ecografía de las glándulas salivales: aumento difuso de ambas parótidas y submaxilares, especialmente acentuado en la parótida izquierda. Gammagrafía tiroidea: bocio difuso con alteraciones sugestivas de tiroiditis, Biopsia de glándula salival con evidencia de linfocitos y macrófagos que reemplazan el epitelio glandular con islotes de células mioepiteliales se indicó manejo con sustitución con hormona tiroidea junto con manejo con el uso de saliva artificial e hidroxicloroquina.

Discusión

Las enfermedades autoinmunes son multifactoriales con factores ambientales y hereditarios, el síndrome autoinmune múltiple se define como una falla multiorgánica endocrina que se presenta durante un periodo

de tiempo variable. La coexistencia de tres o más enfermedades autoinmunes en un paciente constituye el síndrome autoinmune multiple.3 Su fisiopatología aun es desconocida sin embargo se ha planteado mecanismos como una infiltración linfocitaria que causa daño en órganos específicos, defecto celular asociado con equilibrios anormales en la producción de citoquinas por parte de las células T4 se ha encontrado que varios alelos HLA de clase I y II están implicados principalmente en su patogénesis también se ha informado los genes de la proteína tirosina fosfatasa no receptora tipo 22 (PTPN22), antígeno asociado a linfocitos T citotóxicos (CTLA-4), receptor de vitamina D, receptor de interleucina 2, factor de necrosis tumoral- (TNF-), gen A relacionado con la cadena I de clase de histocompatibilidad principal (MICA), repeticiones en tándem de número variable (VNTR).5

Los pacientes con Diabetes Tipo 1 presentan un mayor riesgo de otros trastornos autoinmunes, como la enfermedad tiroidea autoinmune, la enfermedad de Addison, la gastritis autoinmune, la enfermedad celíaca y el vitiligo.6 Se han descrito tipo de síndrome autoinmune múltiple, El tipo I se presenta con hipoparatiroidismo, candidiasis mucocutánea y enfermedad de Addison. Es causada por una mutación del gen regulador autoinmune (AIRE). Tipo II se presenta con la enfermedad de Addison, diabetes tipo 1 o enfermedad tiroidea autoinmune. Se han implicado múltiples genes, incluidos los del complejo principal de histocompatibilidad de clase II y el tipo III se caracteriza por enfermedad tiroidea autoinmune y otras enfermedades autoinmunes, excluyendo la enfermedad de Addison y el hipoparatiroidismo (Tabla 1).7 A su vez el síndrome autoinmune múltiple tipo 3 se subdivide en tipo IIIa si el otro trastorno autoinmune es diabetes mellitus insulinodependiente, Tipo IIIb implica anemia perniciosa, y el tipo IIIc incluye vitiligo, alopecia y/u otra enfermedad autoinmune específica de órganos.8

El diagnóstico se realiza mediante la detección serológica y funcional de enfermedades autoinmunes asociadas en pacientes con una enfermedad autoinmune mono glandular al momento del diagnóstico y durante el seguimiento al menos cada 2 años. Se deben realizar exámenes de detección para detectar otras enfermedades endocrinas antes del desarrollo de complicaciones agudas potencialmente graves,9 en cuanto al el tratamiento se basa en la sustitución hormonal de los déficits observados. Para pacientes con enfermedades mono glandulares como la enfermedad de Addison,

41 Diagnóstico Clínico Aplicado Año XII · Número 142 · Junio 2023
Revista Bioreview®

Tabla 1. Características clínicas de los tipos de síndromes autoinmune múltiple.

Tipo I

Hipoparatiroidismo

Candidiasis mucocutánea

Insuficiencia suprarrenal

Tipo II

Diabetes Mellitus tipo 1

Autoinmunidad tiroidea

Insuficiencia suprarrenal

Diabetes Tipo 1 o enfermedad autoinmune de la tiroides, se recomiendan pruebas periódicas para detectar otros trastornos endocrinos porque la aparición de una segunda enfermedad autoinmune puede variar entre uno y veinte años.10

Conclusión

El Síndrome Autoinmune Múltiple tipo III sigue siendo una enfermedad rara, se debe educar a los pacientes y familiares para que puedan reconocer los signos y síntomas de la enfermedad subyacente. Se recomienda la detección temprana de anticuerpos y disfunción latente específica para un diagnóstico oportuno.

Financiamiento: El financiamiento del trabajo fue cubierto por los autores.

Conflicto de Interes: Los autores niegan presentar conflictos de interés en este Trabajo

Datos de contacto: Juan Sebastian Theran-Leon, Torre 2, apartamento 1504. Bucaramanga, Santander, Colombia., Tel: (+57) 316 631 6986, jtheran554@unab.edu.co

REFERENCIAS BIBLIOGRÁFICAS

[1] Ragusa F, Fallahi P, Elia G, Gonnella D, Paparo SR, Giusti C, et al. Hashimotos’ thyroiditis: Epidemiology, pathogenesis, clinic and therapy. Best Pract Res Clin Endocrinol Metab. 2019 Dec 1;33(6):101367.

[2] Witte T. [Sjogren’s syndrome]. Z Rheumatol [Internet]. 2019 Aug 1 [cited 2022 Sep 13];78(6):511–7. Available from: https://pubmed.ncbi. nlm.nih.gov/30937527/

[3] Sarfaraz S, Anis S. Multiple Autoimmune Syndrome: An Unusual Combination of Autoimmune Disorders. Rev Recent Clin Trials

Tipo III

Diabetes Mellitustipo 1

Autoinmunidad tiroidea

Vitiligo, alopesia y/u otra enfermedad autoinmune

[Internet]. 2020 Jun 22 [cited 2022 Sep 13];15(3):240–3. Available from: https://pubmed.ncbi.nlm.nih.gov/32564761/

[4] Kahaly GJ, Frommer L. Autoimmune polyglandular diseases. Best Pract Res Clin Endocrinol Metab. 2019 Dec 1;33(6):101344.

[5] Frommer L, Kahaly GJ. Autoimmune Polyendocrinopathy. J Clin Endocrinol Metab [Internet]. 2019 Oct 1 [cited 2022 Sep 13];104(10):4769–82. Available from: https://pubmed.ncbi.nlm.nih. gov/31127843/

[6] Abdul-Rahman A. Multiple autoimmune syndrome complicating the management of diabetic retinopathy. Am J Ophthalmol Case Rep [Internet]. 2020 Dec 1 [cited 2022 Sep 13];20:100928. Available from: /pmc/articles/PMC7548932/

[7] Fernandez Miro M, Colom Comi C, Godoy Lorenzo R. Autoinmune polyendocrinopathy. Med Clin (Barc) [Internet]. 2021 Sep 10 [cited 2022 Sep 13];157(5):241–6. Available from: https://pubmed.ncbi.nlm. nih.gov/33958142/

[8] Tian S, Xu B, Liu Z, Liu R. Autoimmune polyglandular syndrome type III associated with antineutrophil cytoplasmic autoantibodymediated crescentic glomerulonephritis A case report and literature review Autoimmune polyglandular syndrome type III associated with antineutrophil cytoplasmic autoantibodymediated crescentic glomerulonephritis: A case report and literature review. Medicine R OPEN. 2020 [cited 2022 Nov 16]; Available from: http://dx.doi.org/10.1097/MD.0000000000019179

[9] Allam MM, Elzawawy HTH. Induction of remission in autoimmune polyglandular syndrome type three (APS III): An old drug with new perspectives. Clin Case Rep [Internet]. 2018 Nov 1 [cited 2022 Nov 16];6(11):2178. Available from: /pmc/articles/PMC6230650/

[10] Hode AK, Dedjan H. Autoimmune thyroiditis - track towards autoimmune polyendocrinopathy type III. Archive of Clinical Cases [Internet]. 2019 Dec [cited 2022 Sep 13];6(4):109. Available from: /pmc/ articles/PMC8565712/

43 Diagnóstico Clínico Aplicado Año XII · Número 142 · Junio 2023

1 Bioquímica.

2 Magister en Ingeniería en Calidad.

3 Especialista en Gestión de la Calidad en el Laboratorio de Bioquímica Clínica.

4 Especialista en Perinatología.

5 Especialista en Citología.

6 Especialista en Hematología.

Servicio de Laboratorio. Hospital Materno Provincial “Dr. Raúl Felipe Lucini”, Ministerio de Salud de la Provincia de Córdoba, Pje. Caeiro 1545, San Vicente. Córdoba, Argentina.

Correspondencia: Ana Belén Pacheco Servicio de Laboratorio. Hospital Materno Provincial“Dr. Raúl Felipe Lucini” Ministerio de Salud de la Provincia de Córdoba

Pje. Caeiro 1545, San Vicente, Córdoba, Argentina Tel 0351-4348762

Correo electrónico: belenpacheco06@gmail.com

44 Revista Bioreview®
Ana Belén Pacheco1,2,3,4, Estrella Silvia Zamory1,4,5, César Juan Gerardo Collino1,3,6
Impacto de la implementación de un sistema documental en el aseguramiento de la calidad en un laboratorio de análisis clínicos de un hospital público

Resumen

El objetivo de este trabajo fue establecer el impacto de la implementación de un sistema de gestión de calidad (SGC) en el desempeño del laboratorio de análisis clínicos del Hospital Materno Provincial. Se diseñaron diez indicadores de calidad (IC), que se midieron pre y posimplementación del sistema documental. Se encontró para el indicador solicitud médica incorrecta (SMI) una disminución de 11,2% a 6% cuando se implementó la gestión documental. Para el indicador omisión del diagnóstico (OD), el porcentaje bajó de 41,6% a 27,9% luego de la intervención. Se encontró un 5% de errores en ingreso al sistema informático del laboratorio (EI-SIL) en situación basal y 3,9% posimplementación, mientras que el indicador muestras mal remitidas (MMR) disminuyó de 3,1% a 1,9%. El 58% de los analitos disminuyó el índice de error total (IET) y el 80% aumentó el valor de sigma luego de la intervención. El 61% de los analitos disminuyó el valor de incertidumbre, mejorando de esta manera el desempeño de los métodos analíticos. El porcentaje de valores críticos (VC) comunicados al médico terapeuta antes de los 60 minutos aumentó del 20 al 54% después de la implementación de la gestión documental, mientras que el indicador reimpresión de informes (RI) disminuyó de 5,2 a 1,8%. El tiempo de respuesta (TAT) disminuyó de 164 a 125 minutos. La implementación de un SGC bajo los requisitos de normas internacionales mejoró el conocimiento y funcionamiento de los procesos del laboratorio clínico, evidenciado por la disminución de los errores en las etapas preanalítica, analítica y posanalítica.

Palabras clave: Laboratorio clínico; Sistema de gestión de calidad; Indicadores; Sistema documental.

Abstract: Impact of implementing a document management system in quality assurance at a clinical laboratory of a public hospital

The purpose of this study was to analyze the impact of implementing a quality management system (QMS) in the performance of a clinical laboratory of Hospital Materno Provincial. Ten quality indexes (QI) have been designed; they were measured before and after the implementation of the document management system (DMS). For the “incorrect medical application” index, there was a reduction from 11.2% to 6% when the DMS was implemented. For the “diagnostic omission” index, the percentage decreased from 41.6% to 27.9% after the implementation. Five per cent of mistakes were found in the admission of the laboratory computer system in the baseline state and 3.9% of the mistakes were found after implementation of the system. Meanwhile, the “incorrect sent samples” index decreased from 3.1% to 1.9%. Fifty eight per cent of the analytes decreased the total error index and 80% of them increased the sigma value after the intervention. Sixty one per cent of the analytes decreased the

uncertainty value, thus improving the performance of analytical methods. The percentage of critical values communicated to the physician before the 60 minutes increased from 20% to 54% after the implementation of the DMS, while the “reprint of reports” index decreased from 5.2% to 1.8%. The turn around time (TAT) decreased from 164 to 125 minutes. The implementation of a QMS, under the requirements of international standards, improved the knowledge and the functioning of different processes of the clinical laboratory. This has been evidenced by the decrease of mistakes in the pre-analytical, analytical and post-analytical phases.

Keywords: Clinical laboratory; Quality management system; Indexes; Document management system.

Resumo: O impacto da implementação de um sistema documental na garantia da qualidade em um laboratório de análises clínicas de um hospital público

O objetivo deste trabalho foi estabelecer o impacto da implementação de um sistema de gestão de qualidade (SGC) no desempenho do laboratório de análises clínicas do Hospital Materno Provincial. Foram desenhados dez indicadores de qualidade (IQ), que foram medidos antes e depois da implementação do sistema documental. Foi achada uma diminuição de 11,2% para 6% no indicador solicitação médica incorreta, (SMI) quando se aplica a gestão documental. Para o indicador omissão do diagnóstico, a porcentagem baixou de 41,6% para 27,9% após a intervenção. Foram encontrados 5% de erros em entrada ao sistema informático do laboratório (EI-SIL) em situação basal e 3,9% pós-implantação, enquanto que o indicador amostras mal encaminhadas (AME) diminuiu de 3,1% para 1,9%. cincuenta e ocho por ciento dos analitos diminuíram o índice de erro total (IET) e 80% aumentou o valor de sigma após a intervenção. Sesenta e uno por ciento dos analitos diminuiu o valor de dúvidas, melhorando desta maneira o desempenho dos métodos analíticos. A porcentagem de valores críticos (VC) comunicados ao médico terapeuta antes dos 60 minutos aumentou de 20 para 54% depois da implementação da gestão documental, enquanto que o indicador reimpressão de relatórios diminuiu de 5,2 para 1,8%. O tempo de resposta diminuiu de 164 para 125 minutos. A implementação de um SGC sob os requisitos de normas internacionais melhorou o conhecimento e funcionamento dos processos do laboratório clínico, evidenciado pela diminuição dos erros nas etapas pré-analítica, analítica e pós-analítica.

Palavras chave: Laboratório clínico; Sistema de gestão de qualidade; Indicadores; Sistema documental.

Introducción

La calidad como concepto, el proceso de la mejora continua y la tendencia a la perfección, son ideales que han existido en la humanidad en todas las culturas a lo largo de la historia, desde la época primitiva hasta la actualidad. La calidad como filosofía de vida tuvo su evolución más importante en el siglo XX. En la década de 1980 se tomó plena conciencia de la importancia estratégica de

45 Gestión de la Calidad Año XII · Número 142 · Junio 2023

la calidad, de los beneficios que su mejora conlleva y de la satisfacción del cliente. El concepto de calidad ha evolucionado hasta convertirse en una forma de gestión que involucra a todas las personas y procesos de una organización (1).

La gestión de la calidad en las organizaciones de salud se ha incorporado a nuestro país en los últimos años. Esto no implica que históricamente los servicios de salud no hayan buscado permanentemente la excelencia. Pero la adaptación de modalidades provenientes del sector industrial al sector de los servicios ha provocado un impacto positivo en los mismos. En la atención de la salud, calidad significa ofrecer un rango de servicios que sean seguros y efectivos, y satisfagan las necesidades y expectativas de los usuarios (2)(3). El desarrollo de la ciencia y la tecnología ha originado avances importantes en el campo de la medicina. Este aspecto se evidencia por un aumento en la calidad de la atención sanitaria y la esperanza de vida de la población. La sociedad actual está cada vez más informada de lo que la ciencia médica puede ofrecer, más consciente de los derechos del usuario y con mayor deseo de participar en las decisiones que afectan la salud. Esta sociedad comprende que la calidad de los servicios de salud está directamente relacionada con la eficacia de la atención que recibirá (4). Los laboratorios clínicos no han sido la excepción a esta regla, donde la demanda de las determinaciones analíticas se ha incrementado de forma exponencial en los últimos años (5). Esto llevó a una transformación en la organización de los laboratorios, donde laboratorios públicos y privados constituyen verdaderas estructuras de apoyo del sistema sanitario.

Para alcanzar un adecuado desempeño en un hospital público, es indispensable conseguir una eficiente gestión en base a los recursos disponibles así como lograr que la interrelación entre los miembros de la institución se sustente en un esquema de valores orientados a asegurar la calidad de los servicios. La seguridad del paciente es un principio fundamental en estas organizaciones donde se deben contemplar todos los factores que pueden provocar riesgos (6). Las exigencias de la salud y la seguridad obligan a los laboratorios clínicos a incorporar el concepto de calidad en sus tareas diarias, principalmente por tratarse de un servicio de salud con efecto en la calidad de vida de la comunidad. Una forma de mejorar la atención en las instituciones de salud es implementar la medición de indicadores de calidad orientados a monitorear los principales procesos que ocurren en ellas y la posterior implementación de acciones de mejora para alcanzar las metas establecidas (7). Es importante que la definición y

construcción de indicadores se dirija principalmente hacia los puntos críticos de los procesos, y en especial hacia aquellos que generan mayor impacto, según los intereses de la organización (8).

La premisa fundamental de la calidad en el laboratorio clínico es la de garantizar la seguridad del paciente, ante todo. En el ámbito de la medicina basada en evidencia, calidad es sinónimo de seguridad (9). Sobre esta base resulta indispensable que los profesionales del laboratorio generen un plan de garantía de calidad integral (10). Es responsabilidad del laboratorio garantizar la calidad de la información que proporciona sobre el estado de salud de un paciente, y para ello debe tener bajo control todos los procedimientos, desde la solicitud del análisis por parte del médico hasta que éste recibe el informe de los resultados (11). La calidad en los laboratorios clínicos contribuye de manera importante y diferenciadora en la mejora de la salud de la población (4).

El objetivo de este trabajo fue establecer el impacto de la implementación de un sistema de gestión de calidad (SGC) de acuerdo a los lineamientos de la norma IRAM ISO 15189:2014 “Laboratorios Clínicos. Requisitos para la calidad y la competencia” en el desempeño de un laboratorio de análisis clínicos en un hospital público.

Materiales y Métodos

Se realizó un estudio experimental de tipo transversal y analítico, en el cual se midió el impacto de la implementación del sistema de documentación en un momento determinado a través del tiempo con evaluación antes y después, en el laboratorio de análisis clínicos del Hospital Materno Provincial “Dr. Raúl Felipe Lucini”. Por lo tanto, se utilizó como variable predictora la implementación del sistema documental del SGC y como variable resultado, los indicadores.

La metodología desarrollada contó con cuatro etapas, las cuales se describen a continuación:

Etapa 1. Diagnóstico del estado inicial del laboratorio

Esta etapa permitió conocer la situación inicial del laboratorio, mediante la lista de verificación SLIPTA (Stepwise Laboratory Quality Improvement Process Towards Accreditation) creada por la Organización Mundial de la Salud (OMS) región África (12) (13), debido al aumento de enfermedades principalmente infecciosas y en respuesta al papel cada vez más importante del laboratorio clínico

46 Revista Bioreview®

en la mejora de la salud para el diagnóstico, manejo y tratamiento de enfermedades. Esta lista de verificación constituye una herramienta para la mejora de los laboratorios clínicos independientemente de la región en la que se encuentren. Está alineada con la norma IRAM ISO 15189:2014 “Laboratorios Clínicos. Requisitos para la calidad y la competencia” (14), y permite clasificar a los laboratorios en una escala de 1 a 5 estrellas. Para la ejecución del diagnóstico se aplicaron técnicas como la observación directa, la entrevista y la revisión de documentos. Se observó la existencia o no de los mismos, en qué medida cumplían con los requisitos establecidos para la documentación y si estaban siendo utilizados adecuadamente.

Etapa 2. Medición de indicadores de calidad preimplementación del SGC

En base a los principales procesos que estuvieron presentes en las actividades del laboratorio, se realizó la medición de una serie de indicadores de calidad (IC) con el objetivo de evaluar el estado basal de desempeño del laboratorio. Se diseñaron diez IC: cuatro IC correspondientes a la etapa preanalítica (IC preanalíticos), tres IC correspondientes a la etapa analítica (IC analíticos) y tres IC correspondientes a la etapa posanalítica (IC posanalíticos). Los IC se establecieron a partir de la re -

visión de la literatura y normativa disponible, seleccionado los indicadores más relevantes en el desempeño de un laboratorio clínico (11) (15-21). Para cada IC se diseñó una plantilla que permitió el registro manual de los datos necesarios para el cálculo de los mismos. Esta plantilla incluyó el nombre del IC, fórmula, justificación, metodología para su obtención y periodicidad de medición. Se midieron los IC durante cuatro meses (diciembre 2015-marzo 2016) para establecer la situación basal del laboratorio y el análisis de los mismos se realizó en una planilla de cálculo de Microsoft Excel® diseñada para tal fin. Un solo operador fue responsable de la medición y registro de los datos.

Etapa 3. Elaboración e implementación del sistema documental del SGC en el laboratorio

Para la elaboración e implementación de la documentación del SGC se utilizó como referencia la norma IRAM ISO 15189:2014 “Laboratorios Clínicos. Requisitos para la calidad y la competencia” (14), desde la etapa previa hasta la posterior al examen. Además, se siguieron los lineamientos de la norma ISO 9001:2008 “Sistema de Gestión de la Calidad. Requisitos” (23) y el informe técnico ISO/ TR 10013:2008 “Guía para la documentación del Sistema de Gestión de la Calidad”.

47 Gestión de la Calidad Año XII · Número 142 · Junio 2023

Etapa 4. Medición de indicadores de calidad luego de la implementación del SGC

Se midieron los IC luego de la implementación del SGC desde diciembre de 2016 a septiembre de 2017, inclusive. Si bien los IC pos implementación fueron evaluados durante diez meses para analizar el comportamiento de los mismos en el tiempo, el impacto de la implementación del SGC se evaluó comparando la situación basal (preimplementación) correspondiente a cuatro meses comprendidos entre diciembre de 2015 y marzo de 2016, y la situación final (posimplementación) entre diciembre de 2016 y marzo de 2017. Un solo operador fue responsable de la medición y registro de los datos.

Análisis estadístico de los datos

El análisis de los datos para los IC preanalíticos solicitud médica incorrecta (SMI), omisión del diagnóstico (OD), errores en ingreso al sistema informático del laboratorio (EI-SIL) y muestras mal remitidas (MMR), y para los IC posanalíticos valores críticos (VC) y reimpresión de informes (RI) se basó en determinar la frecuencia de cada uno de los indicadores durante todo el proceso de medición. Para analizar la significación de las diferencias entre los mismos antes y después de la implementación del sistema documental se determinó el valor de Chi cuadrado (X2)

con el programa MedCalc®, considerándose una diferencia significativa un p<0,05. Como medida de asociación se utilizó el riesgo relativo RR (Incidencia posintervención / Incidencia preintervención) y como medida de impacto en los casos en los que el riesgo relativo fue menor a 1 (RR<1), se calculó la fracción preventiva (FP= [incidencia preintervención - incidencia posintervención] / incidencia preintervención).

Los valores del RR fueron interpretados junto a sus intervalos de confianza (IC 95%), ya que el límite superior del IC 95% no debe superar el valor 1 para que la disminución en el riesgo sea considerada verdadera. Para los IC analíticos índice de error total (IET), sigma e incertidumbre y el IC posanalítico tiempo de respuesta (TAT), el análisis de los datos consistió en comparar los valores medios antes y después de la intervención. Se realizó el test no paramétrico de Wilcoxon con el programa InfoStat® considerándose una diferencia significativa un p<0,05. Para los IC analíticos se estableció el porcentaje de determinaciones que mejora su desempeño luego de la implementación del sistema documental del SGC. Indicadores de calidad Se diseñaron diez IC que permitieron medir el impacto de la implementación del sistema documental del SGC. Se presentan en la Tabla I los IC preanalíticos, en la Tabla II los IC analíticos y en la Tabla III los IC posanalíticos.

% DE SIM = (N° de solicitudes incorrectas / N° total de solicitudes) x 100

Una SMI es aquella en la que falta alguno de los siguientes datos: nombre y apellidos del paciente, DNI o HC, procedencia (salta, cama), firma y / o sello, solicitud ilegible.

OD = (N° de solicitudes sin diagnóstico / N° total de solicitudes) x 100

% EI-SIL = (N° de pacientes ingresados al SIL incorrectamente / N° total de pacinetes ingresados al SIL) x 100

% MMR = (N° de muestras mal remitidas / N° total de muestras) x 100

Se consideró OD a la ausencia del diagnóstico en la solicitud médica.

Un ingreso correcto del paciente consiste en incluir los datos demográficos (nombre y apellidos, DNI o HC, procedencia) y las pruebas solicitadas por el médico responsable.

Se consideró como MMR a aquellas muestras coaguladas, hemolizadas, derramadas, relación incorrecta anticoagulante-sangre, recipiente y/o anticoagulante inadecuado, material insuficiente.

SMI: solicitud médica incorrecta; OD: omisión del diagnóstico, EI-SIL: errores en ingreso al sistema informático del laboratorio, MMR: muestras mal remitidas.

48 Revista Bioreview®
Tabla I. Indicadores de calidad preanalíticos. SMI OD EI-SIL MMR

Tabla II. Indicadores de calidad analíticos

IET Sigma

IET = (ET laboratorio % / ET permitido %)

Un IET cercano a cero garantiza la calidad de los resultados analíticos.

ET laboratorio % = (CV% x 2) + Sesgo %

ET permitido %: requerimiento de calidad

SIGMA = (ET permitido % - Sesgo %) / CV %

Para que el desempeño sea el adecuado debe ser igual o superior a 4.

Sesgo %: (X-target/target) x 100

CV %: (desviación estandar / media) x 100

ET permitido % = requerimiento de calidad

Incertidumbre

U = 2 x uc

uc = (u (Rw)2 + (u (Sesgo))2)1/2

El cálculo de la incertidumbre está basado en las recomendaciones de la guía Nordtest (24)

IET: índice de error total, U: incertidumbre expandida, uc: incertidumbre estándar combinada, S: desviación estándar, x: media RMS sesgo = media cuadrática del interlaboratorio, u (Cref): incertidumbre del valor nominal del interlaboratorio.

Resultados

Diagnóstico del estado inicial del laboratorio El laboratorio obtuvo una puntuación de 128 de un total de 275 puntos de la lista de verificación SLIPTA. Este puntaje correspondió a CERO ESTRELLA (0-150 puntos) cuando el porcentaje de avance del SGC era menor del 55%. Se

evaluaron los puntos obtenidos considerando las diferentes secciones de la lista de verificación. La Figura 1 muestra el grado de cumplimiento en porcentaje por sección de la lista de verificación para el laboratorio. Se encontró un gran avance de desarrollo con porcentajes entre el 40 y el 83% para ocho secciones de la lista de verificación. Las secciones con el mayor grado de desa-

49 Gestión de la Calidad Año XII · Número 142 · Junio 2023

Tabla III. Indicadores de calidad posanalíticos.

Tiempo de Respuesta - TAT

% VC

TAT = tiempo en minutos que transcurre desde que se recibe la muestra en el laboratorio hasta que se emite el informe de resultados.

% VC = (Número de VC comunicados antes de los 60 minutos / Número total de VC comunicados) x 100

Entregar el informe de los resultados en el menor tiempo posible proporciona al médico un apoyo importante en el diagnóstico y tratamiento.

Los VC corresponden a los resultados que involucran un riesgo para la vida del paciente por lo que deben ser avisados lo antes posible al médico solicitante.

% RI

% RI = (N° de re-impresiones de informes / N° total de informes impresos) x 100

La RI evita el cumplimiento del plazo de entrega de los informes.

TAT: del inglés, turn around time, %VC: porcentaje de valores críticos, %RI: porcentaje de reimpresión de informes.

Figura 1: Grado de cumplimiento en porcentaje por sección de la lista de verificación. 1: Documentos y registros, 2: Gestión crítica, 3: Organización y personal, 4: Administración y servicio al cliente, 5: Equipamiento, 6: Evaluación y auditorías, 7: Compras e inventario, 8: Control de procesos, 9: Gestión de la información, 10: Identificación de no conformidades, acciones correctivas y preventivas, 11:

rrollo correspondieron a equipamiento (83%) y compras e inventarios (71%). Se encontró un bajo porcentaje de avance para la documentación y registros del laboratorio (11%) y para la sección gestión crítica (7%). Dos secciones mostraron ausencia de cumplimiento correspondiente a evaluación y auditorias, e identificación de no conformidades, acciones correctivas y preventivas, respectivamente.

Esta etapa permitió conocer la situación basal del laboratorio respecto al SGC, identificar áreas de mejora, reconocer los procesos críticos y planificar estratégicamente la implementación del sistema documental.

Sobre la base de estos resultados se identificaron los puntos específicos para la mejora como parte de la planificación e implementación del SGC en el laboratorio del Hospital Materno Provincial.

Sistema documental del SGC para el laboratorio clínico

La estructura del sistema documental del SGC se basó en los procesos claves del laboratorio. Se realizó la sensibilización y capacitación del personal para la difusión y puesta en vigencia de los documentos. Esta etapa se desarrolló durante ocho meses, entre abril y noviembre de

50 Revista Bioreview®
1 2 3 4 5 6 7 8 9 10 11 12 11% 7% 55% 40% 83% 0% 71% 66% 62% 0% 67% 47%
Frecuencia/gestión de incidencias y mejora de procesos, 12: Instalaciones y bioseguridad.

2016, inclusive. Luego de la implementación del sistema documental se verificó el cumplimiento de los objetivos propuestos y se midieron nuevamente los indicadores. La implementación de la gestión documental del SGC desencadenó una serie de acciones de mejora para el laboratorio clínico; algunas de ellas se describen a continuación:

• Proceso preanalítico: Se estandarizaron las actividades en el área de secretaría, se elaboraron las instrucciones para entregar a los pacientes, se re-elaboraron las solicitudes médicas, se estandarizaron la identificación del paciente y de las muestras.

• Proceso analítico: Se estandarizaron las actividades respecto al aseguramiento de los resultados y las actividades de mantenimiento de los equipos.

• Proceso posanalítico: Se estandarizaron las condiciones respecto a la validación, información, interpretación y asesoramiento de los resultados del laboratorio, se cambió el formato de los informes y se establecieron los valores de referencia para la población propia del hospital (embarazadas y recién nacidos).

La implementación del sistema documental del SGC permitió conocer los procesos que se realizaban y generó el

ordenamiento interno de todos los procesos. Un aspecto fundamental fue la capacitación permanente del recurso humano.

Impacto de la implementación del sistema documental del SGC

Para determinar el impacto de la implementación del sistema documental del SGC en el desempeño del laboratorio clínico, se realizó la comparación de los IC entre la situación basal (diciembre 2015–marzo 2016) y luego de la implementación (diciembre 2016–marzo 2017).

Comparación de los indicadores preanalíticos

Para los IC preanalíticos SMI, OD, EI-SIL y MMR se determinó la frecuencia de cada uno de ellos en situación basal y luego de la implementación, y se calculó el valor de Chi cuadrado (X2) para establecer si existían diferencias entre ambos grupos. En la Tabla IV se muestran los resultados de la comparación de los IC preanalíticos pre y posimplementación. Se encontraron diferencias significativas (p<0,05) para todos los IC preanalíticos con excepción de EI-SIL.

Para el indicador SMI se analizaron un total de 4.727 solicitu-

51 Gestión de la Calidad Año XII · Número 142 · Junio 2023

des médicas en situación basal y 3.359 solicitudes luego de la implementación. Se encontró una disminución de 11,2% a 6% de este IC cuando se implementó la gestión documental. Para el indicador OD, se analizaron en situación basal 4.647 solicitudes médicas y 3.359 solicitudes, posimplementación. En este caso, el porcentaje bajo de 41,6% a 27,9% luego de la intervención. En las Figuras 2 y 3, se muestra la comparación en porcentajes pre y posimplementación de los IC SMI y OD respectivamente, considerando la clasificación de ambos indicadores por procedencia de la petición (servicio de Adultas o Neonatología) y por origen de las solicitudes médicas (consultorio externo o internado). El servicio de Adultas comprendió los servicios de Ginecología y Obstetricia del hospital. Se encontró un 5% de EI-SIL en situación basal y 3,9% luego de la implementación. Para el indicador MMR se examinaron en situación basal un total de 3.709 muestras de química clínica y el porcentaje obtenido fue de 3,1%; mientras que un total de 3.885 muestras de química clínica fueron evaluadas en situación posimplementación donde se obtuvo un porcentaje de 1,9% de MMR posimplementación.

Para el indicador SMI fueron halladas diferencias significativas para el servicio de Adultas tanto por consultorio externo como por internación y para el servicio de Neonatología en internación. No se encontraron diferencias significativas para el servicio de Neonatología por consultorio externo. Para el indicador OD se encontraron diferencias significativas para el servicio de Adultas y el servicio de Neonatología, tanto en consultorio externo como en internación. El indicador MMR se clasificó en función del tipo de error en seis subindicadores. Se encontraron

diferencias significativas en muestras coaguladas y muestras con material insuficiente.

Se calculó el riesgo relativo (RR) como medida de asociación y la fracción preventiva (FP) como medida de impacto siempre que el RR fue menor de 1. La FP% indicó el grado de reducción del riesgo. Para que la disminución del riesgo fuera considerada verdadera el límite superior del intervalo de confianza (IC 95%) no superó el valor 1. Se observó disminución del riesgo (RR=0,64) y una fracción preventiva del 35% para el indicador SMI. Cuando fue clasificado en procedencia y origen, se encontraron RR<1 y altos porcentajes de FP para el servicio de Adultas por consultorio externo y para el servicio de Neonatología en internación. Para el indicador OD el RR fue de 0,86 y la FP del 14%. Cuando fue clasificado en procedencia y origen, solo se encontraron RR<1 y altos porcentajes de FP para el servicio de Neonatología en internación y consultorio externo. El RR fue de 0,67 y la FP del 33% para el indicador EI-SIL. Se encontró para el indicador MMR disminución del riesgo (RR=0,59) y una fracción preventiva del 41%. Cuando fue clasificado en función del tipo de error, se encontraron RR<1 y altos porcentajes de FP para muestras coaguladas y muestras con material insuficiente.

Comparación de los indicadores analíticos

Los valores medios antes y después de la intervención de los IC analíticos fueron comparados mediante el test no paramétrico de Wilcoxon. Se encontraron diferencias significativas entre ambos grupos para todos los IC analíticos:

Figura 2: Comparación en porcentaje (%) del indicador SMI antes y después de la implementación. SMI: solicitud médica incorrecta, AD: adultas, EXT: externo, INT: internado, NEO: neonatología.

52 Revista Bioreview®
SMI Generales SMI AD EXT SMI AD INT SMI NEO EXT SMI NEO INT 11,2 6,0 25,0 20,0 15,0 10,0 5,0 0,0 5,5 3,6 9,5 4,8 7,5 6,1 22,8 9,6 Situación Basal Post-implementación

índice de error total (IET), sigma e incertidumbre. El indicador IET se estimó en 52 analitos de Química Clínica en dos niveles de concentración (muestra control comercial normal y muestra control comercial patológica). Cuando se compararon los valores medios de este IC en situación

basal y luego de la implementación se obtuvieron diferencias significativas (p=0,0019) entre ambos grupos. El 58% de los analitos disminuyó el IET luego de la intervención. Se muestra en las Figuras 4 y 5 el valor de este indicador en aquellos analitos que mejoraron el desempeño, con-

53 Gestión de la Calidad Año XII · Número 142 · Junio 2023
SMI Generales OD AD EXT OD AD INT OD NEO EXT OD NEO INT 41,6 27,9 100 80 60 40 20 0 14,2 17,4 31,5 26,8 36,5 19,1 89,2 47,2
Figura 3: Comparación en porcentaje (%) del indicador OD antes y después de la implementación. OD: omisión del diagnóstico, AD: adultas, EXT: externo, INT: internado, NEO: neonatología. Situación Basal Post-implementación

Tabla IV. Comparación de los IC preanalíticos antes y después de la implementación.

basal diciembre 2015 - marzo 2016

diciembre 2016 - marzo 2017

RR: Riesgo Relativo. IC: intervalo de confianza. FP: Fracción preventiva. SMI: Solicitud médica incorrecta. AD: Adultos. EXT: Extremo. INT: Internado. NEO: Neonatología. OD: Omisión del diagnóstico. EI-SIL: errores en ingreso al sistema informático del laboratorio (SIL). MMR: muestra mal remitida. ANT: anticoagulante. NS: no significativo.

54 Revista Bioreview®
Indicador SMI SMI AD EXT SMI AD INT SMI NED EXT SMI NED INT OD OD AD EXT OD AD INT OD NED EXT OD NED INT EI-SIL MMR Muestras coaguladas Muestras hemolizadas Muestras derramadas Muestras con relación incorrecta ant.sangre Muestras con recipiente y/o ant. incorrecto Muestras con material insuficiente Errores 441 105 93 19 224 1.553 240 365 80 868 48 114 23 35 35 4 3 14 Total 4.727 1.847 1.754 222 904 4.647 1.787 1.684 222 954 974 3.709 3.709 3.709 3.709 3.709 3.709 3.709 % 11,2 5,5 9,5 7,5 22,8 41,6 14,2 31,5 36,5 89,2 5 3,1 0,80 0,89 0,84 0,15 0,07 0,34 Errores 201 51 30 17 103 966 233 142 48 543 44 71 1 24 41 1 2 2 Total 3.359 1.377 542 258 1.172 3.359 1.377 542 258 1.172 1.299 3.885 3.885 3.885 3.885 3.885 3.885 3.885 % 6,0 3,6 4,8 6,1 3,6 27,9 17,4 26,8 19,1 47,2 3,8 1,8 0,02 0,62 1,07 0,03 0,05 0,05 p <0,0001 0,0147 0,0008 ns <0,0001 <0,0001 0,0159 0,0438 <0,0001 <0,0001 ns 0,001 <0,0001 ns ns ns ns 0,0086 RR 0,64 0,65 1,04 0,74 0,35 0,86 1,26 1,21 0,50 0,51 0,67 0,59 0,04 0,65 1,12 0,24 0,54 0,14 IC 96% 0,55-0,75 0,47-0,90 0,70-1,56 0,39-1,39 0,29-0,44 0,80-0,82 1,07-1,49 1,02-1,43 0,36-0,68 0,48-0,54 0,45-1,00 0,44-0,80 0,01-0,31 0,39-1,10 0,71-1,75 0,03-2,13 0,11-3,81 0,03-0,60 FP % 36 36 65 14 50 49 33 41 96 86
Post-implementación
Estado

trol normal y patológico respectivamente. Un IET menor a uno, y cercano a cero garantiza la calidad de los resultados analíticos.

El indicador sigma también fue determinado para los 52 analitos de química clínica en los dos niveles de concentración (muestra control comercial normal y muestra control comercial patológica). Se obtuvieron diferencias significativas (p<0,0001) cuando se compararon los valores medios de este IC en situación basal y posimplementación. El 80% de los analitos aumentó el valor de sigma y, por lo tanto, mejoró el desempeño analítico luego de la intervención. Sigma considera el valor de imprecisión y sesgo obtenidos de la evaluación de métodos y, el requerimiento de calidad (error total permitido). El desempeño analítico de un método clínico se consideró inaceptable cuando sigma fue menor de 2, regular entre 2 y 4, bueno entre 4 y 6, y excelente cuando sigma fue igual o mayor de 6. Se muestran en la Tabla V los valores de sigma en situación basal y luego de la implementación para aquellos analitos que mejoraron el desempeño.

Si se considera el control comercial normal, el 46% de los analitos tuvo un sigma regular en situación basal que disminuyó a 19% luego de la intervención, el 23% de los analitos tuvo un sigma bueno en situación basal pero luego de la intervención aumentó a 27%; y finalmente el 31%

de los analitos tuvo un sigma excelente en situación basal y aumentó a 54% luego de la intervención. Se muestran estos porcentajes en la Figura 6. Para el control comercial patológico, el 27% de los analitos tuvo un sigma regular en situación basal que disminuyó a 11% después de la intervención, el 23% de los analitos tuvo un sigma bueno en situación basal pero después de la intervención disminuyó a 19% y el 50% de los analitos tuvo un sigma excelente en situación basal que aumentó a 70% luego de la intervención. En la Figura 7 se muestran estos valores.

El indicador incertidumbre se determinó para 46 analitos de Química Clínica en los dos niveles de concentración. Se obtuvieron diferencias significativas (p=0,0035) cuando se compararon los valores medios de este IC en situación basal y posimplementación. El 61% de los analitos disminuyó el valor de incertidumbre, y mejoró de esta manera el desempeño de los métodos analíticos. Se muestra en las Figuras 8 y 9 el valor de este indicador en aquellos analitos que mejoraron el desempeño, control normal y patológico respectivamente.

Comparación de los indicadores posanalíticos

Para los IC posanalíticos VC y RI se estableció la frecuencia de cada uno de ellos en situación basal y luego de la implementación, y se calculó el valor de Chi cuadrado (X2)

55 Gestión de la Calidad Año XII · Número 142 · Junio 2023

Figura 4: Indicador IET antes y después de la implementación para analitos de Química Clínica (control normal).

ALB2: albúmina, ALP2L: fosfatasa alcalina, ALTL: alaninaaminotransferansa, AMYL2: amilasa, BILD2: bilirrubina directa, CA2: calcio, CHO2I: colesterol, GLUC3: glucosa, HDLC3: colesterol HDL, LDL_C: colesterol LDL, Na: sodio, PHOS2: fósforo, TP2: proteínas totales, TRIGL: triglicéridos, K: potasio.

ALP2L: fosfatasa alcalina, ALTL: alaninaaminotransferasa, AMYL2: amilasa, BILD2: bilirrubina directa, CA2: calcio, CHO2I: colesterol, GLUC3: glucosa, HDLC3: colesterol HDL, LDL_C: colesterol LDL, MG-2: magnesio, Na: sodio, PHOS2: fósforo, TP2: proteínas totales, TRIGL: triglicéridos.

Situación

para establecer si existían diferencias entre ambos grupos. En la Tabla VI se muestran los resultados de la comparación de los indicadores VC y RI, antes y después de la implementación. Se encontraron diferencias significativas (p<0,05) para ambos indicadores. El valor de VC aumentó del 20% al 54% después de la implementación de la gestión documental, mientras que el indicador RI disminuyó de

5,2% a 1,8% luego de dicha intervención. Se observó disminución del riesgo (RR=0,47) y FP del 53% para el indicador VC, y para el indicador RI el RR fue de 0,30 y la FP del 70%. El indicador RI fue clasificado por procedencia y origen de la petición. Se encontraron diferencias significativas para el servicio de Adultas de origen consultorio externo e internado y para el servicio de Neonatología en internación.

56 Revista Bioreview®
Figura 5: Indicador IET antes y después de la implementación para analitos de Química Clínica (control patológico).
ALP2L 0,7 0,6 ALTL 0,7 0,5 AMYL2 0,7 0,5 BILD2 0,4 0,3 CA2 0,5 0,3 CHO2I 0,6 0,3 GLUC3 0,6 0,5 HDLC3 0,7 0,5 LDL_C 0,5 0,4 MG-2 1,0 0,6 Na 0,9 0,8 PHOS2 0,5 0,3 TP2 0,9 0,6 TRIGL 0,8 0,4
Basal Post-implementación
Situación Basal Post-implementación ALB2 0,4 0,3 ALP2L 0,8 0,6 ALTL 0,9 0,6 AMYL2 0,8 0,5 BILD2 0,4 0,3 CA2 0,5 0,3 CHO2I 0,8 0,5 GLUC3 0,6 0,5 HDLC3 1,0 0,5 LDL_C 0,6 0,4 MG-2 1,0 0,6 Na 0,9 0,8 PHOS2 0,5 0,4 TP2 0,9 0,7 TRIGL 0,8 0,5 K 0,6 0,5

El 15 de Junio de 1875 es el natalicio de Juan Antonio Sanchez, propulsor de la instauración de una profesión bioquímica con fuertes bases científicas y profesionales

Rebeca Gerschman nació el 19 de junio de 1903 en Carlos Casares, provincia de Buenos Aires, Argentina. Se graduó en “Bioquímica y Farma- cia” en la Universidad de Buenos Aires. Rebeca Gerschman abrió una nueva etapa en la investiga- ción en el campo de los radicales libres.

El 12 de agosto de 1856 se fundaba en Buenos Aires la entidad madre de la Academia, la Asociación Farmacéuti- ca Bonaerense

fue un médico, bioquímico y farmacéutico argentino que recibió el Premio Nobel de Química en 1970 por sus investigacio- nes sobre los nucleótidos de azúcar

La diferencia entre hacer historia y conocer la historia está en lo que hacemos día a día con cada lucha.

15 de Junio

Día del ArgentinoBioquímico

Tabla V. Valores de sigma en situación basal y luego de la implementación

ALB2: albúmina. ALP2L: fosfatasa alcalina. ALTL: alaninaaminotransferansa. AMYL2: amilasa. BILD2: bilirrubina directa. BILT2: bilirrubina total. CA2: calcio. CHO2I: colesterol. GGT: gama glutamil transpeptidasa. GLUC3: glucosa. HDLC3: colesterol HDL. K: potasio. LDL_C: colesterol LDL. MG-2: magnesio. Na: sodio. PHOS2: fósforo. TP2: proteínas totales. TRIGL: triglicéridos. UA2: ácido úrico.

antes y después de la implementación para analitos de Química Clínica (control comercial normal).

En estos casos se obtuvieron RR<1 y altos porcentajes de FP. No se encontraron diferencias significativas para el servicio de Neonatología de origen consultorio externo.

Para el indicador TAT se encontraron diferencias significa-

tivas (p<0,0001) cuando se compararon los valores medios antes y después de la intervención. El TAT disminuyó de 164 min a 125 min luego de la implementación de la gestión documental. Cuando fue clasificado en procedencia y origen se encontraron diferencias significativas en todos

58 Revista Bioreview®
ALB2 ALP2L ALTL AMYL2 BILD2 BILT2 CA2 CHO2I CKL GGTI2 ANALITO SIGMA BASAL SIGMA POST-IMPLEMENTACIÓN 6,3 3,1 2,7 3,2 6,0 4,5 5,3 2,8 7,4 5,8 8,3 4,8 5,4 5,6 7,6 5,0 10,6 5,2 10,5 8,2 GLUC3 HDLC3 K LDL-C MG-2 Na PHOS2 TP2 TRIGL UA2 ANALITO SIGMA BASAL SIGMA POST-IMPLEMENTACIÓN 4,0 2,6 3,5 5,6 1,0 2,4 6,0 2,5 3,2 3,2 6,2 7,0 4,9 9,0 5,0 3,0 8,1 3,5 6,5 3,9
SIGMA ≥ 6 31% SIGMA 4-6 23% SIGMA 2-4 46% SIGMA ≥ 6 54% SIGMA 4-6 27% SIGMA 2-4 19% PRE-IMPLEMENTACIÓN POST-IMPLEMENTACIÓN
Figura 6: Indicador sigma

los casos. Para el servicio de Adultas, el TAT disminuyó luego de la intervención de 231 min a 148 min para pacientes de origen consultorio externo (p<0,0001) y de 143 min a 110 min para pacientes de origen internado (p=0,0002). En cuanto al servicio de Neonatología en internación, el TAT disminuyó de 133 min a 116 min (p=0,039).

Discusión y Conclusiones

En el contexto de un hospital público, el proceso de implementación del SGC en el laboratorio de análisis clínicos ha implicado el desarrollo de un conjunto de acciones sistemáticas, continuas y de mejora, dirigidas a obtener los mayores beneficios en la salud del paciente, con los menores riesgos y procurando una buena utilización de los recursos disponibles. La gestión de la calidad se concibe como un proceso integral, donde toda la organización debe focalizar los esfuerzos hacia el propósito de lograr los mejores resultados.

Se propuso como objetivo establecer el impacto de la implementación de un SGC en el desempeño de un laboratorio de análisis clínicos de un hospital público. Se demostró que la organización, implementación y control del sistema documental perteneciente al SGC permitió mejorar el desempeño de los procesos desarrollados en el laboratorio de análisis clínicos del Hospital Materno Provincial, habiendo demostrado esto a través del impacto positivo de los indicadores aplicados. Para diagnosticar el estado basal del laboratorio se utilizó una lista de verificación de aplicación internacional, que permitió identificar puntos específicos para la mejora e implementación

del SGC. Se diseñaron e implementaron diez indicadores de calidad que abarcaron los procesos principales y que reflejaron el desempeño del laboratorio en las dos etapas estudiadas (antes y después de la implementación). Los indicadores de calidad fueron la herramienta utilizada para determinar el impacto de la implementación del SGC. Durante el proceso de intervención, alrededor de 50 documentos (procedimientos, instructivos, registros) fueron desarrollados y puestos en vigencia. Paralelamente, múltiples intervenciones de mejora fueron realizadas en el laboratorio de análisis clínicos. Briozzo G. (25) concluyó en la publicación de su tesis que un sistema de calidad que funcione correctamente es crítico para el desarrollo y la prestación de servicios de los laboratorios de análisis clínicos, mientras que un sistema de documentación aplicable y consolidado representa la herramienta para el futuro crecimiento de la estructura. Ambos sistemas son complejos y están en mutua dependencia y su relación armoniosa constituye la clave del éxito en la gestión.

La implementación del sistema documental del SGC tuvo un impacto positivo en el desempeño del laboratorio del Hospital Materno Provincial, evidenciado por la disminución de los errores y mejora del desempeño a través de los indicadores evaluados. Para los cuatro indicadores preanalíticos (SMI, OD, EI-SIL y MMR) se encontró disminución de la incidencia de estos errores luego de la intervención. Se demostró, además, que la implementación de la gestión documental asociada a acciones de mejora tiene un papel preventivo y disminuye el riesgo frente a errores preanalíticos. En un trabajo realizado por Jurado Roger et al. (26) se encontró que la implementación de la gestión

59 Gestión de la Calidad Año XII · Número 142 · Junio 2023
SIGMA > 6 50% SIGMA 4-6 23% SIGMA 2-4 27% SIGMA > 6 70% SIGMA 4-6 19% SIGMA 2-4 11%
Figura 7: Indicador sigma antes y después de la implementación para analitos de Química Clínica (control comercial patológico).
POST-IMPLEMENTACIÓN PRE-IMPLEMENTACIÓN

Figura 8: Indicador incertidumbre antes y después de la implementación para analitos de Química Clínica (control normal). ALB2: albúmina, ALP2L: fosfatasa alcalina, ALTL: alaninaaminotransferasa, AMYL2: amilasa, CA2: calcio, CHO2I: colesterol, GLUC3: glucosa, HDLC3: colesterol HDL, MG-2: magnesio, Na: sodio, PHOS2: fósforo, TP2: proteínas totales, TRIGL: triglicéridos.

Situación Basal

Post-implementación

Figura 9: Indicador incertidumbre antes y después de la implementación para analitos de Química Clínica (control comercial patológico). ALB2: albúmina, ALP2L: fosfatasa alcalina, ALTL: alaninaaminotransferasa, AMYL2: amilasa, BILT2: bilirrubina total, CA2: calcio, CHO2I: colesterol, GLUC3: glucosa, HDLC3: colesterol HDL, MG-2: magnesio, Na: sodio, PHOS2: fósforo, TP2: proteínas totales, TRIGL: triglicéridos, UA2: ácido úrico.

por procesos y acciones de mejora en el laboratorio disminuía los errores preanalíticos. Sin embargo, no encontraron diferencias estadísticamente significativas para el indicador OD antes y después de la intervención. Esto difiere del presente estudio, en el que se obtuvo una disminución marcada de este error con una diferencia estadís-

ticamente significativa. Briozzo et al. (27) identificaron y analizaron los errores en el laboratorio clínico que impactan sobre la seguridad del paciente y propusieron evaluar el desempeño a partir de la medición de diez indicadores de calidad que abarcan todas las etapas del proceso del laboratorio. Establecieron que el estándar requerido para

60 Revista Bioreview®
ALB2 4,0 3,5 ALP2L 12,3 9,3 ALTL 16,8 11,3 AMYL2 6,3 4,0 CA2 5,7 3,2 CHO2I 7,8 3,9 GLUC3 4,8 4,4 HDLC3 10,7 6,5 MG-2 13,2 4,3 Na 3,7 3,1 PHOS2 5,1 3,7 TP2 5,8 3,7 TRIGL 14,5 7,3
ALB2 3,8 3,5 ALP2L 11,8 9,2 ALTL 16,2 10,9 AMYL2 6,1 3,8 BILT2 9,9 9,0 CA2 5,5 3,2 CHO2I 7,0 3,2 GLUC3 4,6 4,3 HDLC3 8,0 6,5 MG-2 12,7 4,3 Na 3,9 3,1 PHOS2 5,1 3,4 TP2 5,5 3,2 TRIGL 14,3 6,8 UA2 4,1 4,0
Situación Basal
Post-implementación

Tabla VI. Comparación de los IC posanalíticos VC y RI antes y después de la implementación.

RR: Riesgo Relativo. IC: intervalo de confianza. FP: Fracción preventiva. VC: Porcentaje de valores críticos comunicados al médico tratante antes de los 60 min. RI: Porcentaje de reimpresión de informes. AD: adultas. EXT: Externo. INT: Internado. NEO: Neonatología. ns: No significativo.

61 Gestión de la Calidad Año XII · Número 142
Junio 2023
·
Indicador VC RI RI AD EXT RI AD INT RI NEO INT RI NEO EXT Errores 61 277 119 62 89 7 Total 75 5.181 2.640 1.094 1.037 410 % 20 5,2 4,5 5,9 8,6 2 Errores 5 42 20 13 8 1 Total 13 2.647 1.113 426 870 238 % 54 1,8 2,4 3,2 1,1 0,3 p 0,0235 <0,0001 0,0032 0,0443 <0,0001 ns RR 0,47 0,30 0,40 0,54 0,11 0,25 IC 95% 0,23-0,95 0,21-0,41 0,25-0,64 0,30-0,97 0,05-0,22 0,03-1,99 FP % 53 70 60 46 89 Estado basal diciembre 2015 - marzo 2016 Post-implementación diciembre 2016 - marzo 2017

MMR y errores en el ingreso al SIL debía ser menor del 3% y del 5% respectivamente, porcentajes semejante a los encontrados en el presente estudio.

Fueron tres los indicadores analíticos evaluados (índice de error total, sigma e incertidumbre) y se encontró que el desempeño en el proceso de medición de las determinaciones analíticas mejoró posterior a la intervención, mediante la disminución de los indicadores índice de error total e incertidumbre y el aumento del indicador sigma. Torres Pons et al. (28) establecieron que la utilización de procedimientos normalizados de operación e instructivos de trabajo contribuyen al aseguramiento de la calidad en la etapa analítica al estar disponibles en los puestos de trabajo para el personal pertinente. Resultados similares fueron obtenidos en el presente estudio, mediante la mejora del desempeño de los indicadores analíticos luego de la implementación de la gestión documental. Para los indicadores posanalíticos (VC, RI y TAT) la implementación del sistema documental del SGC mejoró el rendimiento en estos procesos. Se demostró el papel preventivo y la disminución del riesgo frente a los errores posanalíticos VC y RI luego de la implementación de la gestión documental y acciones de mejora. La disminución del TAT fue un punto de mejora significativo en la eficiencia del laboratorio con un impacto directo para el paciente, médico y equipo de salud. En un trabajo publicado en el año 2011 Guzmán et al. (29) encontraron un cumplimiento en más del 90% para el porcentaje de aviso de valores de alerta al médico antes de los 30 minutos. Existe una gran dispersión en la literatura respecto al tiempo en los que estos valores deben ser comunicados. En el Hospital Materno Provincial “Dr. Raúl Felipe Lucini” se ha fijado un plazo máximo de 60 minutos, encontrándose un porcentaje de aviso del 54% luego de la intervención, menor que el obtenido por Guzmán et al. Por consiguiente, se considera importante que el laboratorio establezca políticas y protocolos que aseguren que cuando se presenten valores críticos se pongan en marcha acciones terapéuticas oportunas y adecuadas, como un aporte al cuidado y a la seguridad del paciente.

La implementación de un SGC bajo requisitos de normas internacionales mejoró el conocimiento y funcionamiento de los procesos del laboratorio clínico, evidenciado por la disminución de los errores en las etapas preanalítica, analítica y posanalítica. Esta disminución del error y mejora en los procesos del laboratorio tiene un efecto directo sobre el paciente, generando un impacto positivo dentro de la estructura sanitaria. La incorporación de indicadores de calidad para la monitorización de procesos críticos dentro del laboratorio constituye indudablemente una oportunidad de identificar áreas y procesos por mejorar. Es fundamental que los laboratorios clínicos incorporen en su práctica diaria la filosofía de la calidad principalmente por tratarse de un servicio de salud con impacto y efecto en la seguridad y calidad de vida de la comunidad.

Conflictos de intereses: Los autores declaran no tener ningún conflicto de intereses.

62 Revista Bioreview®

REFERENCIAS BIBLIOGRÁFICAS

1. Rico Menéndez J. Evolución del concepto de calidad. Rev Esp Transp 2011; 10: 169-75.

2. Rojas Barahona R, Luna Vega S, Gross Robles J, Kenton Johnston R. Evaluación de la calidad de la gestión de un laboratorio clínico hospitalario en Costa Rica. Rev Costarr Salud Pública 2010; 19: 12-17.

3. Forrellat Barrios M. Calidad en los servicios de salud: un reto ineludible. Revista Cubana Hematología, Inmunología y Hemoterapia 2014; 30: 179-83.

4. Briozzo G. Las “5S” herramienta de mejora de la calidad. Rev Hosp Mat Inf Ramón Sardá 2016; 1: 3-11.

5. Lugo J. El progreso científico técnico y su repercusión en la calidad de los laboratorios clínicos. Medwave 2010; 10: 1-6.

6. Fernández Espina C, Mazziotta D. Gestión de la Calidad en el Laboratorio Clínico. 1era edición. Madrid: Editorial Médica Panamericana; 2005.

7. Guzmán AM, Sánchez T, De la Barra R, Madrid A, Quiroga T. Implementación de 9 indicadores de calidad en un laboratorio hospitalario. Rev Méd Chile 2011; 139: 205-14.

8. Tapia C, Vega C, Rojas C. Implementación del laboratorio clínico moderno. Rev Med Clin Condes 2015; 26: 794-801.

9. Díaz Padilla D, Santoyo Pérez M. El Laboratorio Clínico en la mejoría continua de la calidad. Rev Ciencias Médicas 2019; 23: 357-9.

10. García ACM, Rodríguez LSM, Suárez PKV. Construcción de la cultura de calidad en un hospital público a partir de la gestión humana: tensiones y paradojas. Universitas Psychologica Colombia 2011; 10: 841-53.

11. Barba Evia JR. Contribución del laboratorio clínico en la seguridad del paciente. Rev Latinoam Patol Clin Med Lab 2014; 61: 11-23.

12. Organización Mundial de la Salud. Región África. Stepwise Laboratory Improvement Process Towards Accreditation (SLIPTA). Checklist 2015; 2.

13. Datema TAM, Oskam L, Beers SM, Klatser PR. Critical review of the Stepwise Laboratory Improvement Process Towards Accreditation (SLIPTA): suggestions for harmonization, implementation and improvement. Trop Med Int Health 2012; 17: 361–7.

14. Organización Internacional de Normalización. Laboratorios Clínicos. Requisitos para la calidad y la competencia. NM ISO 15189: 2014. Argentina.

15. Westgard J, Mercapide L, Sáez A, Porras A, Martínez O, Amaya E, et al. Cómo garantizar la calidad analítica. Rev Mex Patol Clin 2010; 57: 179-89.

16. Sciacovelli L, Panteghini M, Lippi G, Sumarac Z, Cadamuro J, De Olivera Galoro CA et al. Defining a roadmap for harmonizing quality indicators in Laboratory Medicine: a consensus statement on behalf of the IFCC Working Group “Laboratory Error and Patient Safety” and EFLM Task and Finish Group

“Performance specifications for the extra-analytical phases”. Clin Chem Lab Med 2017; 55: 1478–88.

17. Sciacovelli L, O’Kane M, Skaik A, Caciagli P, Pellegrini C, Da Rin G, et al. Quality Indicators in laboratory medicine: from theory to practice. Clin Chem Lab Med 2011; 49: 835–44.

18. Sciacovelli L, Sonntag O, Padoan A, Zambon CF, Carraro P, Plebani M. Monitoring quality indicators in laboratory medicine does not automatically result in quality improvement. Clin Chem Lab Med 2012; 50: 463-9.

19. Plebani M. Diagnostic errors and laboratory medicine – Causes and strategies. EJIFCC 2015; 26: 7–14.

20. Galindo-Méndez M, Sánchez López A. Aplicación de metas analíticas y modelo Seis Sigma en la evaluación del control de calidad de Química Clínica. Rev Lab Clin 2017; 11: 20-7.

21. Plebani M, Sciacovelli L, Aita A, Chiozza ML. Harmonization of pre-analytical quality indicators. Biochemia Medica 2014; 24: 105–13.

22. Moirón MDC, Nadal M, Briozzo G. ¿Es posible gestionar calidad en el laboratorio de urgencias? Rev Hosp Mat Inf Ramón Sardá 2010; 29: 61-6.

23. Organización Internacional de Normalización. Sistemas de gestión de la calidad. Requisitos. ISO 9001: 2008. Argentina.

24. Magnusson B, Näykki T, Hovind H, Krysell M, Sahlin E. Handbook for calculation of measurement uncertainty in environmental laboratories. Nordtest Report 2017; 4.

25. Briozzo, G. Gestión del laboratorio de análisis bioquímicos- clínicos. Implementación de la documentación según normas internacionales. Bioquímica y Patología Clínica (Argentina) 2007; 71: 1336.

26. Jurado Roger A, López Braos J, Martínez Nogueras R, Rodríguez Morales R, De la Peña Carretero L, Romero Sotomayor MV. La gestión por procesos en el laboratorio clínico como herramienta para disminuir los errores preanalíticos. Rev Lab Clin 2012; 5: 57-67.

27. Briozzo G, Perego M, Der Parsehian S. Seguridad del paciente. Contribución del laboratorio clínico. Indicadores y propuestas. Bioquímica y Patología Clínica 2008; 72: 19-25.

28. Torres Pons N, Rosquete López R, Torres Romo B, Carbajales LI. Aseguramiento de la calidad en la etapa analítica en Química Clínica. AMC [Internet]. 2007 Dic; 11 ( 6 ). Disponible en: http://scielo.sld.cu/scielo. php?script=sci_arttext&pid=S1025-02552007000600007&lng=es (Fecha de acceso: 31 de mayo de 2019).

29. Guzmán AM, Sánchez T, De la Barra R, Madrid A, Quiroga T. Implementación de 9 indicadores de calidad en un laboratorio hospitalario. Rev Méd Chile 2011; 139: 205-14.

Recibido: 8 de julio de 2019 - Aceptado: 1 de octubre de 2019

Creative Commons License Todo el contenido de esta revista, excepto dónde está identificado, está bajo una Licencia Creative Commons

Calle 6 - No. 1344 (B1900TFM) La Plata - Prov. de Buenos Aires - República Argentina - Tel./Fax: (54) (221) 483-8821/483-7281/423-0252/423-3597 - actabioq@fbpba.org.ar

63 Gestión de la Calidad Año XII · Número 142 · Junio 2023

Acción de CALAB ante la SSS por la situación crítica de los laboratorios

Con el objetivo de mejorar la situación crítica de los laboratorios, la Cámara Argentina de Laboratorios de Análisis Bioquímicos (CALAB) informa que comenzó una acción administrativa para que la Superintendencia de Servicios de Salud (SSS) cumpla lo dispuesto en la normativa vigente.

Para ello, se contrató a una abogada especialista en la materia, que realizó el estudio de antecedentes normativos, el análisis de las presentaciones anteriores que realizó CALAB, y se presentó una nota ante la SSS y a la Secretaría de Comercio en la que se requiere:

La fijación de aranceles mínimos y obligatorios a los fines

de garantizar la calidad de prestadores públicos y privados;

La revisión del decreto que propone el traslado del 92% del aumento otorgado a las prepagas, solicitando que se traslade el 100% del mismo;

La implementación del NBU en todo el país

CALAB convocó a otras entidades bioquímicas a adherir a esta iniciativa, para armar un frente común en beneficio de todos los laboratorios.

Desde la Cámara continuaremos informando sobre los avances que se logren con las gestiones ante la SSS.

65 Actualidad Año XII · Número 142 · Junio 2023

NORMAS ISO - Utilidad y Aplicación para el Laboratorio Bioquímico

Director: Bioq. Esp. César Collino

Docentes: Bioq. Esp. Analía Purita, Bioq. Esp. M. Amelia Acuña. Bioq. Esp. Cecilia Tarditti, Ing. Claudia Beltramone, Bioq. Esp. Carola Romanini, Bioq. Esp. Claudia Bonelli, Dra. Maira Carbajal, Mgter. Bioq. Esp. Belén Pacheco, Bioq. Esp. Fernanda Mera, Bioq. Esp. César Yené, Ing. Amb. Ma. Emilia Pereyra, Bioq. Esp. César Collino.

Secretaria Académica: Dra. Laura Colitto

Objetivo del curso

Brindar a los participantes conocimientos y herramientas en los siguientes tópicos:

• Descripción y comprensión de Normas ISO en general, aplicadas al ámbito de trabajo de los laboratorios Bioquímicos.

• Utilidad de las diferentes series normativas, en el ámbito de aplicación del laboratorio Bioquímico.

Orientado a: Bioquímicos, médicos, y otros profesionales de la salud con carreras universitarias de cinco o más años de duración.

Programa

Video Introducción al Curso Bioq. Esp. César Collino

Video 1 Bioq. Esp. Analía Purita: Introducción a la normalización aplicada a los laboratorios de análisis clínicos. Sistemas de Calidad.

Video 2 Ing. Claudia Beltramone: La Calidad de la Gestión en los Sistemas de Gestión de Calidad.

Video 3 Mgter. Bioq. Esp. Belén Pacheco: Aplicación de la Norma ISO 9001:2015 en un Laboratorio Bioquímico. Experiencia de un Laboratorio público de la Provincia de Córdoba.

Video 4 Bioq. Esp. Fernanda Mera: Implementación de la

Norma ISO 9001 en un Centro de Gestión Pública de Ciencia y Tecnología. Rol de la Bioquímica.

Video 5 Bioq. Esp. M. Amelia Acuña Normas específicas de Acreditación para Laboratorios Bioquímicos – Actualización. Parte 1.

Video 6 Bioq. Esp. César Collino: Normas específicas de Acreditación para Laboratorios Bioquímicos – Actualización. Parte 2.

Video 7 Bioq. Esp. Cecilia Tarditti Experiencia en la aplicación de los requisitos de la Norma ISO 15189 en el área de Toxicología y drogas de abuso.

Video 8 Bioq. Esp. Fernanda Mera: Participación como Bioquímica en el desarrollo de una planificación para la acreditación de ensayos químicos en un Laboratorio de Gestión Pública de Ciencia y Tecnología.

Video 9 Bioq. Esp. Claudia Bonelli: Aplicación de Normas ISO en el Laboratorio de Ciencias Forenses.

Video 10 Bioq. Esp. Carola Romanini: Acreditación ISO/IEC 17025:2017 en un Laboratorio de Genética Forense.

Video 11 Dra. Maira Carbajal: Introducción a los principios de las Buenas Prácticas de Laboratorio (BPL).

Video 12 Bioq. Esp. Claudia Bonelli: Buenas Prácticas de Laboratorio (BPL), y su aplicación en Laboratorios de Ensayos y Bioquímicos.

Video 13 Bioq. Esp. César Yené Auditorías: ¿Cómo saber si tu Sistema de Gestión de Calidad está funcionando? –Parte 1.

Video 14 Bioq. Esp. César Yené Auditorías: ¿Cómo saber si tu Sistema de Gestión de Calidad está funcionando? –Parte 2.

Video 15 Ing. Amb. Ma. Emilia Pereyra: Sistema de Gestión Ambiental en el Laboratorio Bioquímico.

66 Revista Bioreview®
67 Actualidad Año XII · Número 142 · Junio 2023

FORMACIÓN CON MODALIDAD A DISTANCIA

Western Blot

On demand - Organiza Biocealab cursos@biocealab.com www.biocealab.com

Curso de Actualización en Psicofarmacología

Consultar fecha de inicio (cada módulo prevé una dedicación de 120 horas distribuidas en 3 meses)

Organiza COFyBCF (Colegio Oficial de Farmacéuticos y Bioquímicos de la Capital Federal) bioquimicos@cofybcf.org.ar; educacioncontinua@cofybcf.org.ar, www.cofybcf.org.ar

Actualización en Hemostasia y Coagulación

Inscripción permanente Organiza UNL (Universidad Nacional del Litoral) formacioncontinua@fbcb.unl.edu.ar http://www.fbcb.unl.edu.ar/app/cursos.php

Monitoreo Terapéutico de Drogas

Inscripción permanente Organiza UNL (Universidad Nacional del Litoral) formacioncontinua@fbcb.unl.edu.ar http://www.fbcb.unl.edu.ar/app/cursos.php

Curso sobre Micología Médica

Inscripciones abiertas

Organiza Fundación Química Argentina info@fundacionquimica.org.ar

Manejo Práctico de las Alteraciones del Ciclo y Amenorreas

Contarán con 120 días para completar el curso administracion@saegre.org.ar; saegre@saegre.org.ar www.saegre.org.ar/curso_online_amenorreas.asp

El laboratorio en Endocrinología Ginecológica y Reproductiva (Curso Online)

Contarán con 90 días para completar el curso. administracion@saegre.org.ar saegre@saegre.org.ar www.saegre.org.ar/curso_online_laboratorio.asp

Diagnóstico y manejo práctico de la Osteoporosis (Curso Online)

Contarán con 90 días para completar el curso. administracion@saegre.org.ar saegre@saegre.org.ar www.saegre.org.ar/curso_online_osteoporosis.asp#

Panorama General de la Hematología (Curso Online)

Organiza Colegio Mexicano de Ciencias de Laboratorio Clínico A.C. (CMCLabC) y grupo HematoLab Diagnostic. cursosydiplomadoshd@hematolabdiagnostic.com.mx http://hematolabdiagnostic.com.mx/curso-i-panorama-general-de-la-hematologiacutea-hematopoyesis.html

Clasificación de las Anemias con Base en los Índices Eritrocitarios y Cambios Morfológicos de la Serie Roja (parte I) (Curso Online)

Organiza Colegio Mexicano de Ciencias de Laboratorio Clínico A.C. (CMCLabC) y grupo HematoLab Diagnostic. cursosydiplomadoshd@hematolabdiagnostic.com.mx http://hematolabdiagnostic.com.mx/curso-ii-clasificacioacuten-de-las-anemias-con-base-en-los-iacutendices-eritrocitarios-y-cambios-morfoloacutegicos-de-la-serie-roja-parte-i.html

Taller de Comprensión lectora en Inglés

Consultar fecha de inicio Cobico (Colegio Bioquímico de Córdoba) cobico@cobico.com.ar www.cobico.com.ar

Curso de Inglés para Profesionales de la Salud

Consultar fecha de inicio Cobico (Colegio Bioquímico de Córdoba) cobico@cobico.com.ar www.cobico.com.ar

68 Revista Bioreview®

Organizan OPS (Organización Panamericana de la Salud), FIU (Florida International University) y ReAct Latinoamérica

info@reactlat.org

https://reactlat.org/encuentro-latinoamericano-comunidades-empoderadas/

Curso de PCR Intensivo

On - demand

+54 911 3399-5049

https://biocealab.com/courses/curso-de-pcr-intensivo/

Curso de Biología Molecular

On - demand

+54 9 11 3399-5049

daniela@biocealab.com

https://biocealab.com/courses/curso-de-biologia-molecular-2-2/

Climaterio. Abordaje integral en Prevención y tratamiento

Contarán con 120 días para completar el curso

Organiza SAEGRE

(Sociedad Argentina de Endocrinología Ginecológica y Reproductiva)

congresosaegre@gmail.com

http://saegre.org.ar/curso_online_climaterio.asp

Disruptores endócrinos. Impactos en la Salud

Contarán con 120 días para completar el curso

Organiza SAEGRE

(Sociedad Argentina de Endocrinología Ginecológica y Reproductiva)

congresosaegre@gmail.com

http://saegre.org.ar/curso_online_disruptores.asp

Endocrinopatías y Embarazo

Contarán con 120 días para completar el curso

Organiza SAEGRE

(Sociedad Argentina de Endocrinología Ginecológica y Reproductiva)

congresosaegre@gmail.com

http://saegre.org.ar/curso_online_endocrinopatias.asp

Nuevos enfoques en el manejo del dolor pelviano crónico y endometriosis

Contarán con 120 días para completar el curso Organiza SAEGRE (Sociedad Argentina de Endocrinología Ginecológica y Reproductiva)

congresosaegre@gmail.com

http://saegre.org.ar/curso_online_endometriosis.asp

Diagnóstico y manejo práctico de la Osteoporosis

Contarán con 90 días para completar el curso Organiza SAEGRE (Sociedad Argentina de Endocrinología Ginecológica y Reproductiva)

congresosaegre@gmail.com

http://saegre.org.ar/curso_online_osteoporosis.asp

Sexualidad en la mujer

Contarán con 120 días para completar el curso Organiza SAEGRE (Sociedad Argentina de Endocrinología Ginecológica y Reproductiva)

congresosaegre@gmail.com

http://saegre.org.ar/curso_online_sexualidad.asp

SOP. Síndrome de ovario poliquístico. Diagnóstico y tratamiento.

Contarán con 120 días para completar el curso Organiza SAEGRE (Sociedad Argentina de Endocrinología Ginecológica y Reproductiva)

congresosaegre@gmail.com

http://saegre.org.ar/curso_online_sop.asp

Las enfermedades tiroideas en el ciclo de la vida de la mujer

Contarán con 90 días para completar el curso Organiza SAEGRE

(Sociedad Argentina de Endocrinología Ginecológica y Reproductiva)

congresosaegre@gmail.com

http://saegre.org.ar/curso_online_tiroides.asp

69 Agenda de Formación Continua y de Posgrado Año XII · Número 142 · Junio 2023

Programa de Capacitación en Inglés para profesionales de la Salud

(Nivel básico, intermedio y avanzado) Inscripciones abiertas cursos@mednet.com.ar https://campus.mednet.com.ar/mod/page/view.

php?id=5688

Curso Intensivo de PCR

Organiza FQA (Fundación Química Argentina) info@fundacionquimica.org.ar https://fundacionquimica.org.ar/cursos/cursos/curso-intensivo-de-pcr/

Curso de Biología Molecular

Organiza FQA (Fundación Química Argentina) info@fundacionquimica.org.ar https://fundacionquimica.org.ar/cursos/cursos/curso-biologia-molecular/

Endocrinopatías y Embarazo

Inscripciones hasta junio 2023

Organiza FASEN (Federación Argentina de Sociedades de Endocrinología) cursos@mednet.com.ar https://campus.mednet.com.ar/mod/page/view.

php?id=4281

Normas ISO. Utilidad y aplicación para el Laboratorio Bioquímico

19 de junio de 2023

Organiza ABA (Asociación Bioquímica Argentina) cursos@aba-online.org.ar

Cultivos Celulares, Bases Teóricas y Capacitación Práctica

26 al 30 de junio de 2023

Organiza UBA (Universidad de Buenos Aires) posgrado@ffyb.uba.ar

Actualización en el Estudio de las Disproteinemias

12 de junio de 2023

Organiza ABA (Asociación Bioquímica Argentina) cursos@aba-online.org.ar

Claves para la interpretación y validación del hemograma automatizado. Detección de interferencias

12 de junio de 2023 Organiza ABA (Asociación Bioquímica Argentina) cursos@aba-online.org.ar

Señales de Transducción que Participan en la Regulación del Crecimiento Celular

26 de junio al 4 de julio de 2023 Organiza UBA (Universidad de Buenos Aires) posgrado@ffyb.uba.ar

https://www.ffyb.uba.ar/?page_id=5925

Biotecnología vegetal: producción de compuestos de interés farmacéutico en cultivos in- vitro (modalidad mixta).

26 de junio al 7 de julio de 2023 Organiza UBA (Universidad de Buenos Aires) posgrado@ffyb.uba.ar

https://www.ffyb.uba.ar/?page_id=5895

Estrés Psicosocial y Alteraciones Metabólicas: Nuevos Actores en Viejas Enfermedades.

26 de junio al 28 de julio de 2023 posgrado@ffyb.uba.ar

https://www.ffyb.uba.ar/?page_id=5835

Rol de la Morfología de las Células Hemáticas en el Laboratorio de Urgencias

26 de junio de 2023 Organiza ABA (Asociación Bioquímica Argentina) cursos@aba-online.org.ar

Microbiología de los Alimentos (teórico – práctico)

Segundo semestre Organiza ABA (Asociación Bioquímica Argentina) cursos@aba-online.org.ar

70 Revista Bioreview®

Plasma Rico en Plaquetas: Aplicaciones, Alcances y Limitaciones

Segundo semestre

Organiza ABA (Asociación Bioquímica Argentina) cursos@aba-online.org.ar

Médicos y Bioquímicos en el Diagnóstico de la Patología Oncológica

Segundo semestre Organiza ABA (Asociación Bioquímica Argentina) cursos@aba-online.org.ar

Aspectos Citológicos y Microbiológicos del Exámen de Orina

Segundo semestre

Organiza ABA (Asociación Bioquímica Argentina) cursos@aba-online.org.ar

Aplicaciones de la Citometría de Flujo en la Práctica Clínica - Curso por Convenio: ABA- GRCF.

3 de julio de 2023

Organiza ABA (Asociación Bioquímica Argentina) cursos@aba-online.org.ar

Evaluación del Semen Humano. Teórico-Práctico

3 de julio de 2023

Organiza ABA (Asociación Bioquímica Argentina) cursos@aba-online.org.ar

Hemostasia en Pediatría

3 de julio de 2023

Organiza ABA (Asociación Bioquímica Argentina) cursos@aba-online.org.ar

Cultivos Celulares: Bases Teórico - Prácticas.

3 al 7 de julio de 2023

Organiza UBA (Universidad de Buenos Aires) posgrado@ffyb.uba.ar https://www.ffyb.uba.ar/?page_id=5862

Principios de Nanobiotecnología

3 al 14 de julio de 2023 Organiza UBA (Universidad de Buenos Aires) posgrado@ffyb.uba.ar https://www.ffyb.uba.ar/?page_id=5906

Cultivos Celulares: Bases Teórico – Prácticas (modalidad mixta)

3 al 14 de julio de 2023

Organiza UBA (Universidad de Buenos Aires) posgrado@ffyb.uba.ar https://www.ffyb.uba.ar/?page_id=5862

Examen de Orina. Aspectos Citológicos y Microbiológicos

10 de julio de 2023 Organiza ABA (Asociación Bioquímica Argentina) cursos@aba-online.org.ar

Curso de Neuroinmunología

10 de julio de 2023 Organiza ABA (Asociación Bioquímica Argentina) cursos@aba-online.org.ar

Curso de Histocompatibilidad

17 de julio de 2023 Organiza ABA (Asociación Bioquímica Argentina) cursos@aba-online.org.ar

El Microscopio como Aliado en el Diagnóstico (Nuevo)

17 de julio de 2023

Organiza ABA (Asociación Bioquímica Argentina) cursos@aba-online.org.ar

Curso de Autoinmunidad – Clínica y Laboratorio

24 de julio de 2023

Organiza ABA

(Asociación Bioquímica Argentina) cursos@aba-online.org.ar

71 Agenda de Formación Continua y de Posgrado Año XII · Número 142 · Junio 2023

Metodologías de la Investigación

25 de julio al 21 de noviembre de 2023

Organiza UBA (Universidad de Buenos Aires) posgrado@ffyb.uba.ar

https://www.ffyb.uba.ar/?page_id=5925

Inmunología Celular- El Laboratorio en el Estudio de las Células del Sistema Inmune y sus Patologías

31 de julio de 2023

Organiza ABA (Asociación Bioquímica Argentina) cursos@aba-online.org.ar

Agosto a noviembre de 2023

Organiza UBA (Universidad de Buenos Aires) posgrado@ffyb.uba.ar

https://www.ffyb.uba.ar/?page_id=5879

Metodología de la Investigación en Educación en Ciencias Naturales y de la Salud

1 de agosto al 31 de octubre de 2023

Organiza UBA (Universidad de Buenos Aires) posgrado@ffyb.uba.ar https://www.ffyb.uba.ar/?page_id=5953

Cinética Enzimática Avanzada

1 de agosto al 28 de noviembre de 2023

Organiza UBA (Universidad de Buenos Aires) posgrado@ffyb.uba.ar

https://www.ffyb.uba.ar/?page_id=5925

Curso de Legislación Alimentaria Argentina desde un Enfoque Integral

2 de agosto al 27 de septiembre de 2023

Organiza UBA (Universidad de Buenos Aires) posgrado@ffyb.uba.ar

https://www.ffyb.uba.ar/?page_id=5935

Actualización en Salud Reproductiva- módulo 2: Embarazo, Parto y Posparto

2 de agosto al 25 de octubre de 2023 Organiza UBA (Universidad de Buenos Aires) posgrado@ffyb.uba.ar https://www.ffyb.uba.ar/?page_id=5835

Inhibidores Adquiridos de la Coagulación

7 de agosto de 2023

Organiza ABA (Asociación Bioquímica Argentina) cursos@aba-online.org.ar

Dilemas en la identificación Morfológica de las Células de la Serie Mieloide en Sangre periférica

7 de agosto de 2023 Organiza ABA (Asociación Bioquímica Argentina) cursos@aba-online.org.ar Metodologías y Aplicación de Radioisótopos para graduados del área de la Biomedicina (modalidad mixta)

Técnicas de Análisis y caracterización de Polímeros/ Biopolímeros, Nanocompuestos y Materiales Derivados (modalidad mixta).

7 al 11 de agosto de 2023

Organiza UBA (Universidad de Buenos Aires) posgrado@ffyb.uba.ar

https://www.ffyb.uba.ar/?page_id=5906

Química Forense como Auxiliar de la Justicia

7 al 28 de agosto de 2023

Organiza UBA (Universidad de Buenos Aires) posgrado@ffyb.uba.ar

https://www.ffyb.uba.ar/?page_id=5906

Actualidad y Perspectiva en la investigación Biomédica de la Enfermedad Renal (modalidad mixta).

7 de agosto al 15 de septiembre de 2023

Organiza UBA (Universidad de Buenos Aires) posgrado@ffyb.uba.ar

https://www.ffyb.uba.ar/?page_id=5862

72 Revista Bioreview®

Control de Calidad de Cosméticos (modalidad mixta)

14 de agosto al 4 de diciembre de 2023

Organiza UBA (Universidad de Buenos Aires) posgrado@ffyb.uba.ar

https://www.ffyb.uba.ar/?page_id=5944

Protocolos, Aplicaciones y Consejos útiles para lograr una Transfección Exitosa

21 de agosto al 1 de septiembre de 2023

Organiza UBA (Universidad de Buenos Aires) posgrado@ffyb.uba.ar

https://www.ffyb.uba.ar/?page_id=5925

Atención Bioquímica. El nuevo ejercicio profesional.

7 al 29 de septiembre de 2023

Organiza UBA (Universidad de Buenos Aires) posgrado@ffyb.uba.ar

https://www.ffyb.uba.ar/?page_id=5835

El Profesional de la Salud en la Investigación Traslacional. Del Laboratorio al Paciente

2 al 31 de octubre de 2023

Organiza UBA (Universidad de Buenos Aires) posgrado@ffyb.uba.ar

https://www.ffyb.uba.ar/?page_id=5862

Biodegradación de Efluentes Industriales (modalidad mixta)

6 de noviembre al 15 de diciembre de 2023

Organiza UBA (Universidad de Buenos Aires) posgrado@ffyb.uba.ar

https://www.ffyb.uba.ar/?page_id=5935

Nuevas Estrategias de Diagnóstico y Tratamiento de la Enfermedad vascular (modalidad mixta).

4 al 15 de diciembre de 2023

CABA, Argentina

Organiza UBA (Universidad de Buenos Aires) posgrado@ffyb.uba.ar

https://www.ffyb.uba.ar/?page_id=5862

FORMACIÓN CON MODALIDAD PRESENCIAL

ARGENTINA

VI Curso Bianual de Especialización en Endocrinología Ginecológica y Reproductiva. Buenos Aires 2019 – 2020 Consultar fecha de inicio

CABA, Argentina

Organiza SAEGRE saegre@saegre.org.ar www.saegre.org.ar/cursos_bs_as_2019-2020.asp

Cultivos Celulares, Bases Teóricas y Capacitación Práctica

26 de junio al 7 de julio de 2023

Organiza UBA (Universidad de Buenos Aires) posgrado@ffyb.uba.ar

74° Congreso Argentino de Bioquímica 2023

13 al 16 de junio de 2023

CABA - Argentina

cursos@aba-online.org.ar https://aba-online.org.ar/74o-congreso-argentino-de-bioquimica-2023/

Fisiopatología Mitocondrial: aspectos Bioquímicos y Biofísicos

26 al 30 de junio de 2023

CABA, Argentina

Organiza UBA (Universidad de Buenos Aires) posgrado@ffyb.uba.ar

https://www.ffyb.uba.ar/?page_id=5906

Alérgenos en Alimentos: actualización y metodología de control

26 al 30 de junio de 2023

CABA, Argentina

Organiza UBA (Universidad de Buenos Aires) posgrado@ffyb.uba.ar

https://www.ffyb.uba.ar/?page_id=5935

73 Agenda de Formación Continua y de Posgrado Año XII · Número 142 · Junio 2023

Curso Básico Teórico Práctico de HPLC – PDA. Aplicaciones en toxicología

26 al 30 de junio de 2023

CABA, Argentina

Organiza UBA (Universidad de Buenos Aires) posgrado@ffyb.uba.ar

https://www.ffyb.uba.ar/?page_id=5935

Cultivo Celulares y sus Aplicaciones

3 al 4 de julio de 2023

CABA, Argentina

Organiza UBA (Universidad de Buenos Aires) cursosvirologia@qbfcen.uba.ar

Aplicaciones de la Espectrometría de Masas en el Laboratorio de Análisis Clínicos

3 de agosto de 2023

CABA, Argentina

Organiza Hospital Italiano de Buenos Aires cursosyjornadas.iuhi@hospitalitaliano.org.ar

https://posgrado.hospitalitaliano.edu.ar/espectrometriamasas

Control de Calidad de Cosméticos (modalidad mixta)

14 de agosto al 4 de diciembre de 2023

CABA, Argentina

Organiza UBA (Universidad de Buenos Aires) posgrado@ffyb.uba.ar

https://www.ffyb.uba.ar/?page_id=5944

XXVIII Curso de Redacción de Materiales Científicos

23 de agosto al 6 de diciembre de 2023

CABA, Argentina

Organiza UBA (Universidad de Buenos Aires) posgrado@ffyb.uba.ar

https://www.ffyb.uba.ar/?page_id=5944

Plantas y Hongos Tóxicos: Aspectos Botánicos, Toxicológicos y Culturales.

5 al 28 de septiembre de 2023

CABA, Argentina

Organiza UBA (Universidad de Buenos Aires) posgrado@ffyb.uba.ar

https://www.ffyb.uba.ar/?page_id=5871

Biodegradación de Efluentes Industriales

6 de noviembre al 5 de diciembre de 2023

CABA, Argentina

Organiza UBA (Universidad de Buenos Aires) posgrado@ffyb.uba.ar

https://www.ffyb.uba.ar/?page_id=5935

Cultivos Celulares Primarios del Sistema Nervioso; Herramientas para el Estudio Celular en las Neurociencias

27 de noviembre al 1 de diciembre de 2023

CABA, Argentina

Organiza UBA (Universidad de Buenos Aires) posgrado@ffyb.uba.ar

https://www.ffyb.uba.ar/?page_id=5925

Nuevas Estrategias de Diagnóstico y Tratamiento de la Enfermedad vascular.

4 al 15 de diciembre de 2023

CABA, Argentina

Organiza UBA (Universidad de Buenos Aires) posgrado@ffyb.uba.ar

https://www.ffyb.uba.ar/?page_id=5862

Mutagénesis y Caracterización Funcional de Proteínas Expresadas en Células Eucariotas.

4 al 15 de diciembre de 2023

CABA, Argentina

Organiza UBA (Universidad de Buenos Aires) posgrado@ffyb.uba.ar

https://www.ffyb.uba.ar/?page_id=5925

Congreso Argentino de Microbiología 2023

27 al 29 de septiembre del 2023

Organiza AAM (Asociación Argentina de Microbiología)

https://www.aam.org.ar/actividades/714

Atención Bioquímica. El Nuevo Ejercicio Profesional. 24 de agosto al 15 de septiembre de 2023 posgrado@ffyb.uba.ar

https://www.ffyb.uba.ar/?page_id=5835

74 Revista Bioreview®

AUSTRALIA

APFCB Congress 2024. Asia-Pacific Federation for Clinical Biochemistry and Laboratory Medicine

19 al 22 de octubre de 2024

Sydney

Australia

https://apfcbcongress2022.org/

Asia-Pacific Federation for Clinical Biochemistry and Laboratory Medicine (APFCB) Congress 2024 in Sydney, Australia

31 de octubre al 3 de noviembre de 2024

Sidney

Australia

https://apfcbcongress2022.org/

BÉLGICA

XXVI IFCC-EFLM EUROMEDLAB 2025

18 al 22 de mayo de 2025

Bruselas

Bélgica

https://www.ifcc.org/ifcc-congresses-and-conferences/

BRASIL

48° Congreso Brasileño de Análisis Clínicos

18 al 21 de junio de 2023

Florianópolis

Brasil

https://www.sbac.org.br/cbac/

COLOMBIA

XXVI COLABIOCLI 2024

28 al 31 de agosto de 2024

Cartagena

Colombia

EMIRATOS ÁRABES

XXVI IFCC WORLDLAB DUBAI 2024

26 al 30 de mayo de 2024

Dubai

Emiratos Árabes Unidos info@dubai2024.org

https://dubai2024.org/

ESPAÑA

XVII Congreso LABCLIN 2023

18 al 20 de octubre de 2023

Zaragoza

España

https://www.seqc.es/es/cursos/xvii-congreso-labclin-2023/_id:130/

FRANCIA

9th International Symposium on Critical Care Testing and Blood Gases

13 al 14 de junio de 2024

Saint Malo, Francia cbardin@terresetcie.com

https://criticalcaretesting-saintmalo2024.eu/

REINO UNIDO

UK MedLab 2023

12 al 14 de junio de 2023

Leeds

Reino Unido https://www.acb.org.uk/ukmedlab23.html

REPÚBLICA CHECA

5th Symposium – Cutting Edge of Laboratory Medicine in Europe – CELME 2023

12 al 13 de octubre de 2023

Praga

República Checa

celme2023@cbttravel.cz

http://www.celme2023.cz/

75 Agenda de Formación Continua y de Posgrado Año XII · Número 142 · Junio 2023

DOCTORADOS

POSTGRADO

Doctorado en Bioquímica y Biología Aplicada

Inscripción abierta

Organiza UNL (Universidad Nacional del Litoral) cytbioq@fbcb.unl.edu.ar posgrado@fbcb.unl.edu.ar www.unl.edu.ar/blog/carreras/doctorado-en-bioquimica-y-biologia-aplicada

Doctor en Ciencias Biológicas

Inscripción abierta

Organiza UNL (Universidad Nacional del Litoral) cytbioq@fbcb.unl.edu.ar - posgrado@fbcb.unl.edu.ar www.unl.edu.ar/blog/carreras/doctorado-en-ciencias-biologicas

Doctorado en Educación en Ciencias Experimentales

Inscripción abierta

Organiza UNL (Universidad Nacional del Litoral) cytbioq@fbcb.unl.edu.ar posgrado@fbcb.unl.edu.ar www.unl.edu.ar/blog/carreras/doctorado-en-educacion-en-ciencias-experimentales

Doctorado en Ciencias Biológicas

Pre inscripciones abiertas Mendoza

Argentina

Organiza Universidad Nacional de Cuyo posgrado@fcm.uncu.edu.ar www.probiol.uncu.edu.ar

Doctor en Física

Inscripciones abiertas

Organiza UNL (Universidad Nacional del Litoral) cytbioq@fbcb.unl.edu.ar posgrado@fbcb.unl.edu.ar www.unl.edu.ar/carreras/doctorado-en-fisica/

MAESTRÍAS

Maestría en Ciencias Biomédicas

Maestría binacional compartida entre la Universidad de Buenos Aires (UBA) Argentina (Facultad de Medicina y Facultad de Farmacia y Bioquímica) y la Universidad Albert Ludwig de Friburgo (ALU), Alemania (Facultad de Medicina).

http://www.ffyb.uba.ar/maestrias-89/maestria-en-ciencias-biomedicas--imbs-programa-argentino-aleman?es

Magíster en Física

Inscripciones abierWtas

Organiza UNL (Universidad Nacional del Litoral) cytbioq@fbcb.unl.edu.ar posgrado@fbcb.unl.edu.ar

https://www.unl.edu.ar/carreras/maestria-en-fisica

ESPECIALIZACIONES

Especialización en Vinculación y Gestión Tecnológica

Inscripción abierta

Organiza UNL (Universidad Nacional del Litoral) gtec@unl.edu.ar

www.unl.edu.ar/blog/carreras/especializacion-en-vinculacion-y-gestion-tecnologica

Especialización en Bioquímica Clínica en el área de Microbiología Clínica

Preinscripción abierta

Organiza Universidad Nacional de La Rioja

76 Revista Bioreview®

posgrado.dacefyn@unlar.edu.ar

https://posgrado.unlar.edu.ar/depto-exactas/

Especialización en Bioquímica Clínica, área Citología.

7 de agosto de 2023

Preinscripción: 17 de junio al 28 de julio 2023

Organiza UBA (Universidad de Buenos Aires) posgrado@ffyb.uba.ar

http://www.ffyb.uba.ar/carreras-de-especializacion-88/ citologia?es

Especialización en Bioquímica Clínica, área Hematología

Marzo / Abril 2024

Organiza UBA (Universidad de Buenos Aires) posgrado@ffyb.uba.ar

http://www.ffyb.uba.ar/carreras-de-especializacion-88/ hematologia?es

BECAS Y CONVOCATORIAS

Búsqueda de candidato a beca postdoctoral CONICET (IIB-FIUBA)

Tema: Desarrollo de dispositivos de microfluídica Lab On a Chip de gran tamaño para la producción y purificación de anticuerpos monoclonales de forma integrada.

Requisitos del becario: tener título de doctor/a en biología, bioquímica, farmacia, química, biotecnología o carreras afines o tesis aprobada antes del 31/7/2022 con interés en desarrollar trabajos en equipos interdisciplinarios.

Enviar CV

Lugar de trabajo: Grupo de Microfluídica

Instituto de Ingeniería Biomédica

Facultad de ingeniería, UBA.

Contactos: Dr. Maximiliano Pérez: max@fullgen.com.ar, Dra. María Camila Martínez Ceron: mc4camila@gmail.com,

camartinez@ffyb.uba.ar, Dra. Natalia Bourguignon: nataliabourguignon@gmail.com

Estudio de la asociación de Flavonas con Actividad Antitumoral con Inhibidores del EGFR y su adecuada vehiculización para el Tratamiento del Cáncer de Mama.

Requisitos: Graduado en Bioquímica, Farmacia, Biotecnología, Biología o carreras afines. Buen nivel de inglés

Duración de la beca: 3 años a partir de 01/04/2023.

Lugar de Trabajo: IQUIFIB (UBA – CONICET), Depto de Química Biológica, Facultad de Farmacia y Bioquímica, Universidad de Buenos Aires.

Contacto: Dra. Johanna Gabriela Miquet. Enviar CV (que incluya calificaciones y promedios considerando aplazos) al siguiente e-mail miquetig@yahoo.com.ar

Beca doctoral CONICET 2023

Tema: rol de eritropoyetina en el sistema nervioso

Para realizar tesis doctoral: estudiantes y/o graduados de carreras afines a ciencias biológicas biología bioquímica biotecnología medicina veterinaria etc.

Estudio del rol protector de la eritropoyetina sobre el sistema nervioso.

Metodología: cultivo celular, biología celular, citometría de flujo, estudio de la estructura de proteínas, entre otras.

Lugar de trabajo: laboratorio de eritropoyetina en la fisiología celular (QB 11) depto de química biológica, FCEN, UBA, IQUIBICEN, CONICET. Ciudad Universitaria.

Investigadora responsable: Dra Daniela Vittori (dvittori@ qb.fcen.uba.ar; danielacvittori@gmail.com). Enviar CV incluyendo el promedio de la carrera.

77 Agenda de Formación Continua y de Posgrado Año XII · Número 142 · Junio 2023

AVAN TECNOLOGÍAS IVD

LABORATORIOS BACON S. A. I. C.

AP BIOTECH

Félix de Azara 757, Lomas de Zamora, Buenos Aires. +54 11 5352 3820 - info@apbiotech.com.ar https://apbiotech.com.ar/news/labs/ Aviso en pág. 22 y 23

BERNARDO LEW E HIJOS S.R.L

Perú 150, Bahía Blanca, Argentina

+54 291 455 1794 - info@bernardolew.com.ar www.bernardolew.com.ar

Aviso en pág. 11-13

DICONEX S. A.

Torcuato de Alvear 46 (1878), Quilmes, Argentina - Líneas Rotativas: +54 11 4252 2626 - info@diconex.com www.diconex.com

Aviso en pág. 15

JS MEDICINA ELECTRÓNICA S.R.L

Bolivia 462 (B1603CFJ) Villa Martelli, Buenos Aires - +54 11 4709 7707 marketing@jsweb.com.ar - www.jsweb.com.ar

Aviso en pág. 47

BIOARS

Estomba 961, CABA, Argentina +54 11 4555-4601 ventas@bioars.com.ar

Aviso en pág. 19/35

GEMATEC EQUIPAMIENTO PARA MEDICINA

Avalos 3651, (1605) Munro, Buenos Aires, Argentina. +54 11 4512-5666 y líneas rotativas. info@gematec.com.ar

Aviso en pág. 48/51

GLYMS INFORMACIÓN EN TIEMPO REAL

Piedras 519 8-A, Capital Federal, República Argentina +54 011 4331 4512 - administracion@glyms.com.

Aviso en pág.55

78 Revista Bioreview®

IAC INTERNACIONAL

Av. P. Luro 7113 - Mar del Plata - Argentina + 54 223 4783900

ventas@iacinternacional.com.ar

https://iacinternacional.com.ar

Aviso en pág. 27

Instrumental Bioquímico SA

Tel. +54 11 4709 7700

instrumental-b.com.ar

Aviso en pág. 25/53

MANLAB - Diagnóstico Bioquímico y Genómico

Tel. +54 11 6842 1200

manlab.com.ar

Aviso en pág. 17

MERCK S.A.

Ed. Panamericana Plaza, Tronador 4890, Buenos Aires (1430)

https://www.merckgroup.com/ar-es - Cel. +54 11 4546 8100

Aviso en pág. 8-9

Año XII · Número 142 · Junio 2023

MONTEBIO

Oficina y depósito: Vera 575 CABA Tel. +54 11 4858 0636.rotativas. www.montebio.com.ar/info@montebio.com.ar

Aviso en pág. 21

NextLAB by Genetrics S.A. Av. del Libertador 8630 6º Piso - Tel. +54 11 5263 0275 info@nextlab.com.ar - www.nextlab.com.ar - Aviso en pág. 28/61

WIENER LAB

Wiener Lab Switzerland S. A. ventas@wiener-lab.com

Horario de Atención: Lunes a Viernes 9 a 18Hs. (-3 GMT)

Aviso en pág. 29

79 Índice de Auspiciantes
80 Revista Bioreview®

¿Quiénes somos?

Somos un equipo de profesionales de la bioquímica, de la comercialización y de la comunicación, con amplia experiencia en medios gráficos tradicionales y digitales.

Desarrollamos productos dinámicos, con contenidos de interés para el público target de nuestros patrocinantes, que aseguran la llegada de las marcas, productos y servicios a sus consumidores.

La integración complementaria de nuestros tres medios garantizan el impacto de las campañas publicitarias difundidas a través nuestro.

Bioquímico Sergio Sainz

Director General de Medios

Bioquímico y Farmacéutico | Esp. en Gestión de Entidades de Nivel Superior | Esp. en Gestión de PyMEs | Mag. en Endocrinología | Sección de Endocrinología y Enf. Metabólicas en RedBio Laboratorios | Prof. Tit. de Grado. Univ. Juan A. Maza | Docente Investigador

Bioquímica Griselda Basile

Directora de Contenidos

Bioquímica y Farmacéutica | Maestrando en Ingeniería en Calidad | Especialización en Gestión de PyMES | Directora de Gestión de la Calidad en RedBio Laboratorios

Cyntia Perez

Social Media Manager

Especializada en RRPP y Protocolo

DI Lucía Zandanel Terán

Directora de Arte y Desarrollo Digital

Diseñadora Gráfica y Editorial | Diseñadora Industrial de Productos y Desarrollo Web | Diplomada en Innovation Management, Metodologías Ágiles, Project Management | Magister en Project Management y CX Management

81 Bioquímica Molecular Año XII · Número 142 · Junio 2023
Somos bioquímicos.
Conocemos las necesidades de su cliente.

Y MÁS DE 12 AÑOS JUNTOS

VISITANOS EN ISSUU.COM
SOMOS
140 EDICIONES
PIONEROS

Turn static files into dynamic content formats.

Create a flipbook
Issuu converts static files into: digital portfolios, online yearbooks, online catalogs, digital photo albums and more. Sign up and create your flipbook.