At Facey Medical Group, caring for our community has been our mission for over 100 years. From the San Fernando and Santa Clarita Valleys to Simi Valley, generations of families have turned to us for expert, compassionate care.
As part of Providence, our doctors work closely with leading hospitals like Providence Holy Cross, Providence Cedars-Sinai Tarzana, and Providence Saint Joseph—bringing you coordinated care from trusted names in health care.
We’re honored to be your choice since 2009. Discover why more people continue to choose Facey. Schedule a visit with a Facey doctor today.
Canyon Country 14550 Soledad Canyon Rd. 661-250-5200
Copper Hill 27924 Seco Canyon Rd. 661-513-2100
Valencia 26357 McBean Pkwy. 661-222-2600
Valencia Specialty & Women’s Health 23803 McBean Pkwy. 661-481-2400
Valencia Urgent Care 26357 McBean Pkwy., #120 661-222-2643
Facey Medical Group doesn’t sell health insurance, but choosing a Facey doctor for your care is easy. We accept most HMO, PPO, Medicare and Medicare Advantage insurance plans. Ask your insurance company how you can switch today. For a list of the health plans we currently contract with, visit our website at facey.com/insurance or call 1-855-359-6323.
Services Include
• Alzheimer’s/Dementia Care
• Medication Reminders
• Cooking, Light Housekeeping
• Incidental Transportation
• Grooming, Dressing
• Laundry - Incontinence Care
• Companionship and ...
DINING & ENTERTAINMENT
American Restaurant
Newhall Refinery
Atmosphere
Le Chene
Banquet Facility
The Break Room
Bar
Schooners Patio Grille
Barbecue
Rattler’s Bar B Que
Bagels
Dink’s Deli & Bagels
Breakfast
Egg Plantation
Brewery
Pocock Brewing Co.
Brunch
Eggs Etcetera
Burger
Everest Burgers
Business Lunch
Salt Creek Grille
Catering
Wolf Creek
Chef
Daniel Otto
Chinese Restaurant
Grand Panda
Cocktails
Azul Tequila
Cookie Shop
The DW Cookie Company
Deli
Dink’s Deli & Bagels
Desserts
The Old Town Junction
Dinner
Patron’s
Donuts
S&S Donuts & Bake Shop
Family Entertainment
MB2 Entertainment
Family Restaurant
Eat Real Cafe
Mexican Restaurant
La Cocina Bar & Grill
New Restaurant
Slice House by Tony Gemignani
Pizza
Toppers Pizza Place
Place for kids to have fun
Tag-Ops
Place to throw a party
Valencia Lanes
Restaurant Service Le Chene
Romantic Restaurant
Bella Cucina
Fast Food In-N-Out
Frozen Yogurt
Golden Spoon
Happy Hour
Maginns Pub
Health Food
The Daily Harvest Cafe
Ice Cream
Baskin-Robbins
Indian Restaurant
Great Indian Kitchen
Italian Restaurant
Piccola Trattoria
Japanese Restaurant Yamato
Live Entertainment
Canyon Theatre Guild
Lunch Spot
Marston’s
Mediterranean Restaurant Olive Terrace
Sandwiches
Jersey Mike’s Subs
Seafood Restaurant
Crab N’ Spice
Social/Country Club
The Paseo Club
Sports Bar
Marci’s Sports Bar & Grill
Steak
Backwoods Inn
Sushi
Sushi 661
Takeout
StoneFire Grill
Thai
Thai Dishes
Vietnamese
Pho Sure
Wine Bar
Kindred Spirits Wine Bar
Jersey Mike’s Subs — Best Sandwiches
Thanks to the Santa Clarita Signal Readers for voting us Best Sandwiches in SCV for 19 years in a row! At Jersey Mike’s, we offer a sub above — one that’s measured in more than inches or seconds ‘til served. We carefully consider every aspect of what we do — every slice, every sandwich, every store — we provide our customers with sustenance and substance too. Here’s how we do it:
The Juice Red wine vinegar and an olive oil blend. It’s how a Jersey Mike’s sub gets its exquisite zing. It’s how bites get boosted, and a great sub becomes an even better one. The Juice adds that certain something extra. An exclamation. The kind of exclamation … you can eat.
Pride in our Produce Our produce is grown, packed, and shipped locally (where available), and then handled with the utmost care at our stores. When you eat one of our subs Mike’s Way, you can be certain that your veggies were prepped by hand earlier that day for the highest level of freshness and flavor.
Quality Ingredients When it comes to quality, refusing to compromise has been an important part of our heritage. It’s why we choose only the leanest, tastiest cuts of meats and fine, aged cheeses. We wouldn’t settle for any other way.
Cooked in Store Roast Beef USDA Choice Top Rounds Fresh Sliced, Fresh Grilled!
Slicing meats and cheeses right in front of you is not only the tastiest way to make a sub sandwich — it’s the only authentic way. Same goes with fresh grilling cheese steaks. At Jersey Mike’s, we would have it no other way.
Serving Oven Fresh Bread Daily. Authentic Jersey bread is the foundation of a sub above. We bake our bread fresh in our stores every day. Traditional white and whole wheat. It’s the only way to have a truly authentic Jersey Mike’s sub.
Our culture of giving at Jersey Mike’s is as much a part of our heritage as oil and vinegar. We believe making a great sub sandwich and making a difference can be one in
the same. Every store we open starts by partnering with a charity in the local community. Because the way we see it, a sub’s job isn’t done at simply tasting good. A sub should do good too.
As of today, there are 10 Jersey Mike’s
in the Santa Clarita Valley to serve you fresh & delicious sandwiches.
Find out yourself why they’ve been voted “Best Of” for 19 consecutive years. Visit us online at www.JerseyMikes.com to find the location nearest to you.
Marci’s Sports Bar and Grill has been crowned the best sports bar for three years running! With over 30 years of restaurant experience in Europe and the US, Marci brings a unique, passionate energy to her beloved establishment, making every customer feel like part of the family.
Step into Marci’s, where the atmosphere is always buzzing and every guest is greeted with a warm, friend-
Marci’s Sports Bar and Grill
ly welcome. Whether you’re a newcomer or a regular, you’ll instantly feel at home. Dive into their extensive beer selection, boasting both on-tap and bottled options, alongside a fully stocked bar ready to mix up any cocktail you desire. The mouth-watering menu is a culinary adventure, offering everything from the crispy Saugus fries to the legendary Hangover Burger, fresh Cobb Salad, and finger-licking wings.
But the excitement doesn’t stop
there! Marci’s hosts special nights dedicated to serving authentic Czech cuisine, adding a delicious twist to your dining experience. For sports fans, this is paradise. With 15 indoor TVs and six outdoor-patio screens, you won’t miss a single moment of the action. Plus, if you like to stay engaged during the game, you can enjoy a round of darts, try your luck with the lottery, or test your swing with simulation golf.
Looking for more entertainment?
In appreciation of our heroes, Marci’s offers a 15% discount to military personnel and first responders. It’s their way of saying thank you for your service and dedication.
Marci’s is a celebration of female, family-owned business success, blending Czech hospitality with American spirit. It’s the ultimate spot for a family-friendly, safe, and vibrant game-watching experience.
Marci’s has you covered with thrilling band nights, electrifying DJ nights, and exciting karaoke nights. Dance the night away, enjoy live music and beats, or grab the mic and sing your heart out – there’s always something fun happening at Marci’s.
Find Marci’s Sports Bar & Grill at 28200 Bouquet Canyon Rd., Santa Clarita, CA 91350, or give them a call at (661) 296-8000 for more details. Follow their exciting journey on Instagram @marcissportsbarandgrill. Don’t miss out on the fun – come be part of the Marci’s magic
Canyon Theatre Guild Prepares to Kick Off Their Show-Stopping 2025-26 Season!
Canyon Theatre Guild prepares to kick off their 2025-26 season with nine new show-stopping productions!
For over 50 years, Canyon Theatre Guild has been providing the Santa Clarita Valley with high quality performances and youth programs. Just ten minutes from the San Fernando Valley, CTG features trained and talented actors of all ages and attracts over 30,000 audience members each season. The organization has such popularity that it has been voted “Best Live Theatre” in the Santa Clarita Valley every year of the Reader’s Poll since its inception. From Broadway musicals to hilarious comedies, there is something for everyone in the family to enjoy!
Kicking off this season, Rodgers & Hammerstein’s Cinderella is wowing audiences with songs you know and a story you love. Then in the Fall they’ll tell the story of Carole King with Beautiful The Carole King Mu-
sical featuring hits by King, Goffin, Mann and Weil. Their annual Christmas show will be the festive and fun, A Christmas Story. In the New Year, Rodgers & Hammerstein’s South Pacific returns to the CTG with gusto. Following that will be the comedic Boeing Boeing and the thrilling Wait Until Dark. To close their 2025-26 season, the renowned and poignant drama, Driving Miss Daisy, will play alongside the under-the-sea Broadway comedy, The SpongeBob Musical. Dates for their improv troupe, Knights of Improv & Comedy, are TBA at this time.
The mission of the Canyon Theatre Guild is to make the world a better place by entertaining, educating, enlightening, and enriching the community through quality live theatre — so come join in the fun! For more information or to become a member, visit canyontheatre.org or call 661799-2702.
a Blessing and a Honor to be selected as your Favorite again! Be sure to stop in for our fresh made ice cream this summer!
always a pleasure serving the community, Thank You! Your Family cookie shop.
Nestled in the heart of Valencia you will find SCV’s newest, woman owned wine bar, Kindred Spirits. Local resident and owner, Diane Kiger created a place where people could come together in a beautiful environment to learn about and enjoy amazing wine and food. Thank you, Santa Clarita, for honoring us with this prestigious recogni-
Best Wine Bar Of 2025
tion in our first year of business!
Kindred Spirits is proud to offer exceptional service with a variety of unique dining experiences. Check out Happy hour Monday-Thursday. Looking for live music? Come in Wednesday or Friday night. Feeling creative? Join us for corks and canvas once a month. Sunday Brunch? Yes! Swing by and enjoy bottomless mimosas. Want to expand your wine
knowledge? We offer monthly wine pairing dinners hosted by wine experts. We look forward to welcoming you, 7 days a week, open until 11pm every day. Let our knowledgeable team walk you through our unique wine list and find a new favorite. Please note that we are licensed 21+.
On behalf of the Kindred team, we are grateful to have the distinction of Best Wine Bar in SCV and it has
been a pleasure serving you! Connect with us @kindredspirits_ winebar or (661) 753-3338 — see you soon!
La Cocina Bar and Grill
La Cocina Bar and Grill’s three locations would like to thank The Signal and our community of Santa Clarita for these past wonderful 31 years of business. We hope to continue to stay in the favor of our community, so that we may continue to delight the Santa Clarita Valley with our authentic Mexican cuisine and our select Cadilac Margaritas. We strive to help our community by giving back through fundraisers, donations to local sports teams, organizations, and schools. Our community matters to us and we cherish the support we have received during these trying economic times we face in our country. By supporting small businesses, you support economic growth in our communities. We pride ourselves in our customer service and unique family of employees who have remained with the business since the beginning. We hope to continue growing and expanding our business, bringing joy with every mouthful of our delicious food, service, and hospitality for many more years to come. We thank you for your preference!
FOR THE HOME
Auto Glass
SCV Auto Glass
Carpet / Flooring Store
Brent’s Carpet One Floor & Home
Carpet Cleaning
CBC Cleaning & Construction, Inc.
Cleaning Company (Residential)
Molly Maid of Santa Clarita
Contractor / Remodeler
Randal G. Winter Construction
Door Company
Valencia Custom Shower Doors
Electrical Contractor
Morff Electric
Emergency Restoration
Paul Davis Restoration
Furniture Store
Furniture Design Center
Glass & Mirror
Preferred Glass & Windows
New Pool Construction
Thomas Pools
Pest Control
Clark Pest Control
Plumber
Heys Plumbing
Shellback Plumbing
Pool & Spa Supplies
Mac’s Pool & Spa Supply
Rooting & Plumbing Company
Bob’s Rooter & Plumbing
Roofing Contractor
August Roofing & Solar
Solar Installer
Green Convergence
Interior / Exterior Paint
Allbright Painting
Interior Designer Liz Anne Designs
Landscaping Stay Green, Inc.
Landscape Design
BSH Landscape & Hardscape Design
Mattress Store A Royal Suite
Shutters
Shutter World
Synthetic Lawns / Putting Greens Lawn Kings, Inc.
Windows and Doors
Preferred Glass & Windows
Window Cleaning
The Window Cleaner, Inc
Window Coverings
Blinds & Shutters of All Kinds
A Royal Suite Home Furnishings Celebrates 46 Years in Santa Clarita
If you or family members lived in the Santa Clarita Valley in the ‘80s, there’s a good chance that they made a very unique purchase from A Royal Suite Home Furnishings that decade — a waterbed.
“Waterbeds were all the rage when we first opened,” says owner Norb Moniz. “Now, our customers are much more interested in sleep solutions like memory foam and brands like Tempur-Pedic and Restonic.”
What hasn’t changed is the commitment the A Royal Suite team makes to customer satisfaction. “We don’t just sell furniture — we build relationships for life,” says Moniz.
“There’s a reason we get so many clients in their mid 20s coming in to buy their first sofa. It’s because their parents and grandparents sent them in.
“They say, ‘My dad told me that you’d take care of me,’ and we do. We have a massive selection that fits every design taste and our customer service is unparalleled.”
It’s this philosophy and practice
that has drawn national attention to A Royal Suite Home Furnishings. The company, which boasts two other locations in Oxnard and Palmdale, was recently recognized as a Retailer of the Year finalist by the Home Furnishings Association, one of the most coveted and influential recognitions for retailers in the furniture industry.
The 16 national finalists, which ranged from large, national chains to local, family-owned retailers like A
Royal Suite, were nominated by their peers, manufacturers, vendors and furniture reps.
Sharron Bradley, CEO of the HFA, said many of the qualities of a successful furniture store are on display every day at A Royal Suite Home Furnishings in Santa Clarita.
“Here’s a store that creates a unique, personalized shopping experience and is an integral part of its community. They’re wonderful models for
our industry.”
A Royal Suite Home Furnishings recently had a floor-to-ceiling remodel directed by industry guru Connie Post. “We’re growing, not going,” says Moniz, “and we’re excited to invest in elevating the client experience even further.”
A Royal Suite Home Furnishings is located on Carl Boyer Drive, near Sam’s Club.
Stay Green: Where Southern California Landscapes Thrive
In the world of commercial landscaping, reliability, expertise, and local understanding make all the difference. That’s why property managers, HOAs, and municipalities across Southern California turn to Stay Green — a privately-held company with more than 50 years of experience in delivering beautiful, sustainable and performance-driven landscapes.
Rooted in Southern California, Stay Green is laser-focused on one region and one mission: helping properties thrive in a complex, evolving climate. Unlike national providers stretched across multiple geographies, Stay Green is purpose-built to serve the unique needs of Southern California landscapes — from coastal communities to desert corridors and all in between.
What truly sets Stay Green apart is its perfectly scaled approach. Large enough to handle the most complex commercial sites, yet personal enough to deliver service with heart, Stay Green blends technical expertise with an unmatched commitment to client relationships. The result? Longstanding partnerships built on trust, transparency, and results that show in every square foot.
The Stay Green team brings more than horticultural know-how — they bring passion. The company’s culture is built on continuous learning, team bonding, and employee growth, which directly fuels the high standards clients experience every day on-site. When people are supported and connect-
ed, they care more — and it shows in the service they provide.
Sustainability is not a side note — it’s at the core of every Stay Green program. From smart irrigation and water management to plant health care and environmentally responsible maintenance practices, the company helps clients meet environmental goals without compromising aesthetic impact or functionality.
Whether you’re managing a corporate facility, a city landscape, retail center, or community HOA, Stay Green offers a full suite of commercial land-
scaping services — including maintenance, enhancements, tree care, plant health care and water management — delivered with local knowledge and a future-focused mindset.
In a landscape where first impressions matter and environmental pressures are rising, Stay Green is the partner that delivers consistently, creatively, and sustainably.
Ready to experience the Stay Green difference? Visit www.staygreen.com to learn more or schedule a consultation today.
Backyard Ideas on a Budget
any people enjoy the possibilities that outdoor living offers and admit they would spend more time outside if the exterior spaces of their homes featured more amenities. According to a 2024 survey by Allstate Protection Plans, Americans love outdoor living and entertaining. Seventy-six percent of those who own outdoor products use their backyards, porches, patios, or balconies at least three times a week. It’s clear people from all walks of life value time spent outdoors, but many homeowners cannot afford a major backyard overhaul. Thankfully, there are budget-friendly upgrades anyone can embrace to maximize style and function.
Source Thrift Shops
Grab Some Pallets
There’s an entire craft offshoot involving the repurposing of pallets acquired from warehouses or hardware stores. Pallets can be transformed into everything from tables to sectionals to benches. Visit bit.ly/3IS2vni for building ideas, or check out YouTube video tutorials offering tips on getting started.
Lend a Hand
Taking on some of the backyard renovations yourself can save money. Speak with a contractor, mason or landscape architect to see if you can pitch in to lower costs. You might be able to tear out existing landscape to reduce labor expenses.
Reuse and Refresh
Thrift shops are ideal places to find gently used items for the yard. Scour the aisles for patio sets, planters and more at deeply discounted prices. If you can’t find a matched set, look for patio pieces that have similar lines and materials to create a cohesive look and feel.
While thrift stores are one place to find inexpensive outdoor living items, you also can transform older furniture or hand-me-downs with some sanding and a coat of paint. Breathe new life into found items with paint, fresh cushions and enthusiasm.
Renovating is achievable in a budget-friendly way with some creativity and know-how. (MC)
Thank you, Santa Clarita Valley, for voting us the BEST glass & mirror, AND windows and doors company. We understand customer satisfaction is the most crucial part of any business, and we’re determined to exceed your expectations.
Since 1969 we’ve been the first choice of homeowners and businesses alike for their glass, window, mirror, and door needs. Our friendly and knowledgeable staff presents you with an array of standard, custom solutions at affordable prices.
We carry the latest high-performance vinyl and wood-clad window and door designs, standard and custom tub and shower enclosures, as well as custom and mirrored wardrobe doors. We also carry shutters. If you are looking for glass tabletops, we
have them from 1/4 to 1 inch thick, with or without beveling. There are also bay and garden windows. We also do 24-hour emergency board ups.
All our products are on display at our Santa Clarita location. If you can’t find what you need, ask a representative. Custom orders are our specialty. All installations are guaranteed as long as you own your home. If any installed product fails due to faulty installation, we promise to make it right. It’s guaranteed.
Please visit our website at www. preferredglassandwindows.net. Consider yourself invited to our showroom at 23032 Soledad Canyon Rd. or call (661) 298-2165 in to schedule a FREE in-home estimate.
Santa Clarita for Voting us Best
Shower Door Company
Signs Your Home Exterior May Need Updating
enovations are a great way for homeowners to reshape their homes. Some may aspire to renovate so their home is more reflective of their personal taste, while others may do so in an effort to make their homes better align with modern styles and sensibilities. Regardless of why a homeowner chooses to renovate, the need to do so is often evident to the naked eye, especially when the time comes to update home exteriors.
Curb appeal is often discussed in regard to the effects it can have when selling a home. But curb appeal is equally important for homeowners who aren’t putting their homes on the market. A well-maintained, aesthetically appealing home is a source of pride, while a home with fading curb appeal can make homeowners feel a little sheepish. Homeowners who want their homes to maintain their curb appeal can look for signs that it’s time to update their home exteriors.
Curling Shingles
The roof may not be the first thing people think of when pondering curb appeal, but a damaged roof can contribute to problems that ultimately affect the exterior and interior of the home. Multiple curling shingles indicate it’s time to replace the roof. The sight of curling shingles is not pretty, but the larger issue in such instances is the potential for
costly water damage when water gets in through the affected shingles.
Dated Entry Door
Many home improvement experts insist they can determine when a home was built or most recently renovated simply by looking at the front door. Steel and glass doors are popular in modern homes, so homeowners with front doors with ornate designs and oval glass inserts can likely benefit from an upgrade to their entryway. A modern front door can make a statement and real estate experts note how popular updated front doors are among buyers.
Unsightly Landscaping
It’s not only the physical components of the home that may suggest an update is necessary. Homeowners without a green thumb may have exterior landscaping that has seen better days. If a spring
or summer day spent tending to your landscaping is not your ideal weekend pastime, then consider replacing unsightly landscaping with low-maintenance plants or hardscaping. These alternatives to more needy plants can create curb appeal without requiring any extra work for homeowners.
Cracked Driveways/Walkways
If the driveway looks like a busy road at the end of snow plowing season, chances are that’s adversely affecting the impression people have of your home. In addition, cracked walkways indicate a need for renovations, as these areas are front and center when welcoming guests.
Updating a home’s exterior can restore curb appeal and help homeowners feel better about their properties. (MC)
Houzz: Home Interior Trends
Home trends typically benefit from a longer shelf life than viral videos and other fads that originate on the internet, and that’s something renovation-minded homeowners should consider when improving their homes. Homeowners preparing to do just that can consider these notable trends, which the online renovation experts at Houzz suggest will be particularly popular in the year ahead.
Rounded furnishings Houzz noted that gentle curves and rounded edges embody the organic modern styles that many current homeowners love. Rounded dining tables and similarly circular coffee tables may merit consideration among homeowners who want to embrace popular trends.
Arches Houzz cites arches among the more popular modern trends, and the experts at Better Homes & Gardens note this unique, eye-catching style has been gaining popularity for several years. Better Homes
& Gardens suggests that part of the appeal of arched doorways could be their deviation from a more traditional door shape. That uniqueness draws the attention of residents and visitors alike, and Houzz notes that arched windows, cabinets and even millwork details are part of the pivot toward arches.
Stove Alcoves If it’s a touch of history homeowners want, kitchen range alcoves might be just the project for them. Range alcoves call an earlier time to mind when wood burning stoves were commonplace. The report from Houzz notes range alcoves immediately draw attention, which undoubtedly adds to their appeal. Trends come and go, but home trends typically have more staying power than styles that emerge in other arenas. Homeowners who want to upgrade their home interiors can consider the latest trends and choose those that align with their own personal tastes. (MC)
The Window Cleaner
The Window Cleaner would like to thank Santa Clarita for 25 years of great customers. We now server LA County, Venture County, and Kern County without the support of Santa Clarita residents that would not have been possible.
The quality of our work is visibly invisible let Madison, Curtis, Alexis, and Nadeen make you smile with clean windows. We do resi-
dential houses, commercial buildings, and tree houses. We offer other services such as Pressure washing, house washing, screen repair, chandlers and other light fixtures cleaned. we also offer Christmas light installation and design; we customize your lights for your house and yard and store them after use. AGAIN, THANK YOU SANTA CLARITA FOR 25 YEARS.
HEALTH & FITNESS
Acupuncture Pure Wellness Center
Audiologist Audiology Associates
Cancer Center City of Hope
Cardiologist
Dr. Samuel A. Kojoglanian
Children’s Dentist Adventure Dental
Children’s Gymnastics Center Hugo’s Gymfitness
Chiropractor Unruh Spine Centers
Dentistry Go Dental
Cosmetic Surgery
Heller Plastic Surgery
Crossfit Gym
CrossFit Rye Canyon & Barbell Club
Dance Studio Dance Studio 84
Cosmetic Dentistry Skyline Smiles
Dermatologist Facialology
Esthetician Beyond Harmony Med Spa
Family Practice
Dr. Michael Pin, MD
Fitness Center/Gym Results Fitness
Golf Course Valencia Country Club
Gymnastics Center Gymnastics Unlimited
Hair Removal Infinity MedSpa
Hospital
Henry Mayo Newhall Hospital
Hypnotherapist Sara Fogan / Calminsense Hypnotherapy
Imaging Services Tower Imaging Valencia
Internal Medicine
Dr. Dhanda, MD
Lasik Surgery
Helm Vision Group
Life Coach
Kelly Lynn
Martial Arts
Ekata Training Center
Pediatrics Kids and Teens
Medical Center
Kaiser Permanente
Medical Group
Facey Medical Group
Optometrist Corben Optometry
Oral Surgeon SCV Oral & Maxillofacial Surgery
Orthodontist
Embrace Your Smile Orthodontics
Orthopedist
Southern California Orthopedic Institute
Outpatient Surgery Valencia Surgical Center
Periodontist
SCV Dental
Personal Trainer
Ace In Home Personal Fitness Training
Physical Therapy
Vargo Physical Therapy
Pilates Studio Pilates Plus
Plastic Surgeon Heller Plastic Surgery
Podiatrist
Leslie G. Levy, D.P.M.
Swim School
Academy Swim Club
Urgent Care
Henry Mayo Newhall Hospital
Wound Care
SCV Wound Care
Yoga Studio
Yoga Yoga
Dr. Justin Heller
Dr. Justin Heller, a Valencia-based Board-certified plastic surgeon has been voted as SCV Best Plastic Surgeon 10 years in a row. Dr Heller and his staff have been making people in the Santa Clarita Valley feel better about their self-image for years. This is a big year for Dr Heller as it also marks the 10-year anniversary of his practice in SCV. This milestone has been marked with the opening of his new office, which many have found to be the premiere aesthetic center in Santa Clarita with a spa like glamour that boasts the best procedures, providers and facility in the area.
Dr Heller’s surgical skills, were once again honored by the community for his work. Dr Heller was recognized by Santa Clarita Valley residents as the best place for cosmetic surgery once again for 2025, which means a lot for the Yale-trained surgeon who loves calling Santa Clarita his home. Dr Heller treats his staff and patients as an extended member of his family.
“It’s tremendously flattering,” Heller
Strategies to Promote Wellness
Tsaid upon learning he was once again recognized by his fellow SCV neighbors for his work. “And it means a lot simply because I continuously work to always make sure that we’re doing better, and bringing the best kind of results to everyone that we can. I do house calls on patients, I make sure to see everybody, and that stems from a desire to make sure the patients are comfortable and know that I’m always there for them. To get recognized for all the efforts I do throughout the year is flattering and really nice. ”
Heller also felt it was a special recognition to him because he cares a lot about his hometown and giving back, which he does through his work with local sports teams, City of Hope’s Concern Foundation and many other organizations in SCV.
he tenets of wellness can be traced to ancient civilizations. Wellness encompasses strategies that lead to a state of holistic health. Those strategies include physical, mental and even spiritual components. The root of wellness incorporates various natural approaches and preventive care. Physical, mental, social, and spiritual well-being is achieved through different avenues. Programs in communities and places of employment can promote and emphasize wellness, which can benefit people in myriad ways.
Feeling empowered Wellness begins with individuals, who can feel empowered when they make healthy choices and utilize the tools and support systems at their disposal. This can include information provided by health care professionals as well as research people uncover on their own.
Community involvement Individuals who have access to healthy food, safe housing, education, and medical care are more likely to make wellness a priority. Community leaders
can ramp up their efforts to provide health-based offerings to people in surrounding neighborhoods.
Workplace initiatives People spend eight or more hours each day at work, and health should and can be prioritized at places of business. Employers can incorporate healthy eating options in cafeterias or break rooms, offer stress management services, engage in fitness challenges, and even provide workout equipment or quiet spaces so employees can incorporate wellness into their work days.
Spiritual connection While spiritual
See WELLNESS, page 35
Hugo’s Gymfitness
Thank You, Santa Clarita!
We are honored and humbled to announce that Hugo’s Gymfitness has once again been voted Best Gymnastics Center in the Santa Clarita Valley — for the 14th year in a row! Your continued trust and support means the world to us as a small but growing family-owned business.
Earlier this year Hugo proudly accepted an appointment to serve our city as a Commissioner for the Santa Clarita Parks and Recreation Department — continuing his legacy of community involvement and youth development.
While Hugo takes on this important new role, his daughter Nikky is
proudly taking over everyday operations. Born and raised here in Santa Clarita, Nikky was a competitive gymnast, cheerleader, basketball player, and track athlete. A graduate of Canyon High School, she brings her passion for athletics and love for the community into everything she does.
Nikky is excited to announce plans for a new, state-of-the-art facility — right here in the SCV! This upcoming location will be three times the size of our current gym and will offer an expanded range of programs.
From our family to yours — thank you, Santa Clarita, for being part of this journey.
— Team Hugo’s
Unruh Spine Center
Introducing our transformative multidisciplinary chiropractic office, where expert care merges with innovation, igniting wellness, and reshaping lives.
At our office, we specialize in merging chiropractic care with various complementary disciplines, including physical therapy, medical, massage therapy, acupuncture, and podiatry. This comprehensive approach ensures that each patient receives a tailor-made treatment plan that addresses their unique needs.
Our team of chiropractors, renowned for their expertise and experience, employs state-of-theart techniques and equipment to diagnose, treat, and prevent musculoskeletal conditions. Whether it’s alleviating back pain, enhancing physical performance, or promoting overall wellness, we are committed to providing effective, evidence-based solutions that deliver long-lasting results.
Furthermore, our friendly and
compassionate staff will ensure that your experience at our office is comfortable and stress-free. From your initial consultation to the final follow-up, we prioritize clear communication, fostering a supportive and trusting relationship with our valued patients.
Join our growing community of satisfied patients who have experienced the transformative benefits of multidisciplinary chiropractic care. Embark on a journey towards optimal health and vitality by visiting our office today. It’s time to unlock your body’s potential and discover the amazing possibilities that lay ahead.
Audiology Associates is Hearing Healthcare Excellence!
Audiology Associates in Santa Clarita is dedicated to helping people of all ages with their hearing needs, from babies to those in their 100s.
Serving the Santa Clarita, San Fernando and Antelope valleys and several outlying areas, the company is owned by Kevin Bolder, Au.D. (Doctor of Audiology). Dr. Bolder was a managing audiologist in a busy practice in the San Fernando Valley for 12 years before joining Audiology Associates in 2011 and assuming ownership of the practice in 2018.
Also on staff is John Davis, Au.D. He coauthored several research studies in the areas of hearing loss and vestibular evaluation. His independent research identifying alternative modalities for prognosticating idiopathic hemifacial palsy was published in 2013.
Our practice is unique in that both of the providers are Doctors of Audiology with a combined experience of over 40 years. A Doctor of Audiology
is a highly educated healthcare professional who is skilled in providing diagnostic, rehabilitative, and other services associated with hearing, balance, and tinnitus management.
Since both Doctors live and work in Santa Clarita, they are entrenched in the community. “We see our patients around town frequently, whether it’s out shopping, at our children’s
schools, or other events”, Dr. Bolder said. “It’s fulfilling to help improve the lives of our friends, family, and neighbors in our own community.”
Dr. Bolder and his staff are proud to assist patients with a variety of hearing healthcare needs. Their services include hearing evaluations, fitting hearing aids, offering solutions for tinnitus management and most
importantly providing answers to patient’s questions about their hearing and hearing devices.
Over the years, Audiology Associates has won numerous awards, including The Signal’s “Best Of” award every year since 2009. We are celebrating our 17th year winning this prestigious award! This year Audiology Associates has also won Ultimate Audiologist by Elite Magazine.
“We take great pride in these accolades and invite you to experience what makes us special and the audiology office of choice when it comes to solutions for your hearing,” Dr. Bolder said. “The staff at Audiology Associates looks forward to helping you with your hearing healthcare needs.”
For more information, call (661) 284-1900 or visit www.Audiology Associates.net.
Audiology Associates, 25425 Orchard Village Road, Ste 220, Santa Clarita, CA 91355.
John Davis
Kevin Bolder
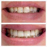
Go Dental Named Best Dentist in Santa Clarita for Seventh Consecutive Year
For the seventh year running, Go Dental has been named Best Dentist in Santa Clarita, a distinction voted on by the community and awarded by a local publication. While the honor is deeply appreciated, the team at Go Dental says the real reward is the trust and gratitude of the patients they serve every day.
With over 600 five-star reviews, the practice has quietly built a reputation for excellence rooted in integrity, transparency, and patient-first care.
“We’re incredibly humbled,” said Dr. Christopher Go. “It means a lot to be recognized, but what matters most is that our patients feel heard, respected, and cared for. That’s always been the mission.”
Joining Dr. Go in the group interview were his colleagues Dr. Derek Frump and Dr. Ryan Monti, who both emphasized the same values that have become the foundation of the practice.
“Our philosophy is simple: treat every patient like family,” said Dr. Frump. “That means we explain things clearly, we don’t recommend treatment unless it’s needed, and we do everything we can to make people feel at ease.”
Dr. Monti added, “We’ve been fortunate to grow year after year, not because of advertising, but because people refer their friends and loved ones to us. That kind of trust is the highest compliment we could ask for.”
in the heart of Santa Clarita, Go Dental offers a full range of services, including preventive care, cosmetic treatments, and complex restorative procedures. But the doctors are quick to point out that advanced technology and clinical expertise are only part of the picture.
“Dental care is personal,” Dr. Go said. “You can have all the tools and certifications in the world, but if you’re not listening to your patients — really listening — then you’re missing the point.”
The team credits their continued success to a shared commitment to ethical care, clear commu-
nication, and compassion. While the Best Dentist title is displayed proudly in the office, the doctors say the most meaningful validation comes from their patients.
“Reading those reviews, hearing someone say they used to be afraid of the dentist and now they look forward to visits — that’s what keeps us going,” said Dr. Monti.
For the team at Go Dental, the recognition is not a finish line, but a reminder to keep earning their patients’ trust, one visit at a time.
Located
For more than 100 years, the Facey name has stood for high-quality, compassionate health care throughout the San Fernando, Santa Clarita, and Simi valleys. As part of the Providence family, Facey Medical Group connects patients to a network of leading hospitals, same-day care, virtual visits, and round-the-clock access to electronic health records — all designed to make managing your health simpler.
Our board-certified physicians provide care to more than 150,000 patients, offering a wide range of services from routine checkups to specialty care — including lab work and imaging — all typically available in one convenient location. In the Santa Clarita Valley, Facey operates six clinics that collectively offer a broad range of services — including primary care, specialty care, women’s health, and urgent care. Our newest
location, in the Bridgeport Shopping Center, opened in October and expands access to care in the community.
We’re more than just a medical group — we’re a partner in your wellness journey. In addition to our clinical care, we offer free community programs and educational classes focused on healthy living, diabetes support, weight management, and more.
At Facey, peace of mind comes standard. We work with a broad range of insurance plans — including Medicare, PPOs, HMOs and fee-forservice options — ensuring our care is within reach for as many people as possible.
Whether you’re looking for a trusted family doctor or advanced specialty care, Facey is here to help you and your loved ones live healthier, fuller lives. Contact us today and discover the Facey difference.
The Advantages of Drinking Milk
Drinking milk is a popular way to consume the amount of dairy recommended for a healthy diet. Milk is a rich source of 13 essential nutrients that can boost the immune system and fuel the body. Milk notably contains vitamin D and calcium, which helps maintain strong bones and can reduce the risk for a bone-thinning disease known as osteoporosis.
Milk also contains vitamins A and B as well as potassium and protein. Milk helps keep teeth strong and healthy as well. The United States Department of Agriculture says that each person’s recommended intake of dairy depends on his or her age, gender, height, and other factors.
Generally speaking, toddlers and children should consume between one and 2.5 cups of milk per day. Adults can benefit from about three cups per day. A cup is equal to 8 ounces.
Health experts advise choosing nonfat or low-fat versions of milk and additional dairy products, as they are much more heart-healthy than fullfat options. Too much saturated fat in one’s diet can lead to high cholesterol and a greater risk for heart disease. If the idea of downing three glasses of milk is a turn-off, milk can be incorporated into recipes, such as smoothies, where its taste and texture is less prominent.
Cheese and yogurt also count. Eight ounces of yogurt or 1-1/2 ounces of hard cheese is equivalent to one cup of milk in terms of nutrition, says a2 Milk¨, a company that produces milk that may be easier on digestion. Individuals who have a lactose intolerance can choose milk products that do not contain lactose. (MC)
Henry Mayo Newhall Hospital’s Roberta G. Veloz Cardiac Cath Lab Celebrates Milestone
Henry Mayo Newhall Hospital’s Roberta G. Veloz Cardiac Cath Lab team recently performed its 100th Transcatheter aortic valve replacement (TAVR) procedure, just a little over three years after completing its first TAVR procedure.
Henry Mayo Structural Heart Director Abhi Sinha, MD, said, “I think that it is a big milestone not just for Henry Mayo’s Structural Heart Program but also for the entire community. What’s more important than the numbers is that our outcomes have been excellent so far. We are in the top 90th percentile in the country for many important metrics.”
What is TAVR?
Transcatheter aortic valve replacement (TAVR) is a procedure used to replace a narrowed aortic valve that does not fully open. The aortic valve sits between the left lower heart chamber and the body’s main artery. When this valve becomes narrowed, it is known as aortic valve stenosis, which restricts or slows the flow of blood from the heart to the body.
TAVR is a minimally invasive procedure, involving smaller incisions compared to traditional open-heart valve surgery. It is often considered for individuals who are not suitable candidates for conventional heart surgery to replace the aortic valve. TAVR can effectively alleviate symptoms such as chest pain, shortness of breath, and other issues associated with aortic valve stenosis.
For more information, visit henrymayo.com/heart.
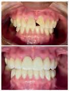
Dr. Harleen Grewal is a distinguished figure in dentistry, renowned for her expertise in trauma dentistry, cosmetic enhancements, and innovative healthcare initiatives. A graduate of USC Dental School, she furthered her skills with a specialized residency at Lutheran Medical Center, focusing on emergency trauma cases at Baystate Hospital in Springfield, MA.
Beyond her clinical practice, Dr. Grewal has championed impactful public health initiatives. At the onset of the COVID-19 pandemic, she pioneered mobile testing services, ensuring widespread access and aiding in early detection efforts, underscoring her unwavering commitment to community well-being.
As the visionary founder of Skyline Smiles, Dr. Grewal has revolutionized patient care by expanding services to include pediatric dentistry, adult care, and cosmetic procedures. She is also a distinguished practitioner in personal injury dentistry, addressing a range of oral injuries resulting from car accidents, sports mishaps, traumas, or other incidents. Dr. Grewal approaches each case with expertise, compassion, and precision, utilizing state-of-the-art techniques to diagnose and treat fractures, avulsions, lacerations, and soft tissue damage. Understanding the emotional impact on patients and their families, she fosters a supportive environment where individuals feel heard, understood, and reassured throughout their treatment journey.
On behalf of all of us at Yoga Yoga, we are deeply honored and grateful to the Signal and our amazing community for awarding us the best yoga studio seven years in a row.
For 30 years, this yoga shala has been a sanctuary for movement, healing, and connection made possible by our incredible team and unwavering support of our students. We’re so proud to be part of this community and look forward to continuing this journey with you, on and off the mat.
With sincere gratitude, Dani Ibarra, Owner
Dr. Grewal’s commitment to clinical excellence and compassionate care makes her a trusted ally in the journey toward recovery and oral health restoration following personal injury. Her dedication extends to Mind Body Infusion, a cutting-edge med spa she founded to promote holistic well-being and enhance both inner vitality and outer beauty. Dr. Grewal offers comprehensive wellness and aesthetic services, including multi-nutrient infusions for health and customized treatments for beauty. With a focus on enhancing immunity, energy, and aesthetics through advanced therapies in a serene environment, Dr. Grewal invites new clients to discover their integrated comfort and aesthetic enhancement.
Deeply invested in her Santa Clarita community, Dr. Grewal actively supports nonprofits such as Soroptimist International, the Wish Foundation, Santa Clarita Pregnancy Center, and Henry Mayo Newhall Hospital. Her role as a healthcare provider and community advocate underscores her commitment to enhancing health and empowerment.
Furthermore, Dr. Grewal is politically involved, leveraging her influence to support causes and policies that enhance healthcare accessibility and community welfare. Her multifaceted contributions make her a respected leader in both healthcare and civic engagement.
Academy Swim Club
Amultiple summer programs to our list of services which include: Summer Swim Camp, which includes two group lessons, and free swim, each week; and Torpedo Swim Launch, which is an accelerated program for beginner swimmers to solidify safer swim skills in a short period of time. We love providing these new services to our community to help achieve our goal of creating a ‘drowning free’ world, and to have every child a swimmer by 3.
t Academy Swim Club, our mission has always been to inspire individuals, families and youth to Learn to Swim … for LIFE! We do this by creating a safe, fun and friendly atmosphere, teaching exceptional developmentally appropriate swimming and fitness skills which build self-esteem, confidence and character with highly trained, professional instructors. As the community’s favorite indoor, year-round Swim School, we have been providing our internationally recognized Learn-to-Swim Program to thousands of young children and individuals of all ages, abilities and skill levels for 40 years now!
Along with providing the highest quality swim lessons at our two indoor locations, we have added
We are so confident in what we do, all of our Swim Lessons are Guaranteed – FREE lesson given if not 100% satisfied! Enroll in the SCV’s Premier Swim School today, and Learn to Swim…for LIFE! Visit Swim4Life. com, or call 661-702-8585 for more information.
Tower Imaging Valencia
Thank You, Santa Clarita- 6 years in a Row!
From all of us at Tower Imaging Valencia, thank you for once again naming us Best of SCV-six years in a row! We are deeply honored by your continued trust and support.
For over 16 years, our team has been dedicated to delivering compassionate care, accurate results, and cutting-edge technology to the families of Santa Clarita and beyond. Being recognized by you, our patients and neighbors, means everything to us.
As we continue to grow and expand, now offering state-of-the-art PET/CT with our new GE Omni Legend scanner and MRI services 7 days a week, we remain committed to putting your health, safety, and convenience first.
Thank you for choosing Tower Imaging Valencia as your imaging partner. We are proud to be a part of this incredible community and look forward to serving you for many years to come.
The Tower Imaging Valencia Team, Located on the Henry Mayo Newhall Hospital Campus Call (661)753-5400 to schedule an appointment or visit us online at www. towerimaging-valencia.com.
Cavities and Children
Dental caries, commonly referred to as cavities or tooth decay, continue to be big problems among young children. According to the Centers for Disease Control and Prevention, tooth decay is the most common chronic childhood disease in the United States and the leading cause of missed school among children.
More than half of children between the ages of six and eight have had a cavity in at least one of their baby teeth. In 2019, the American Academy of Pediatric Dentists reported in its State of Little Teeth findings that while tooth decay had decreased overall, one in five children under the age of five have experienced tooth decay.
Oral health experts surmise that
controversy over the use of fluoride may be one contributor. Diet also has an effect on oral health.
Amanda Hill, a registered dental hygienist, says she has seen an uptick in the number of young children with crowded baby teeth. This may lead to “mouth breathing,” which increases risk for decay and gum disease. Hill suggests soft foods and “pouch” treats like yogurts and applesauce may be robbing developing children from chewing, thus leaving them with an underdeveloped jaw.
Children should see a dentist, if not at the time their first teeth erupt, by their first birthdays. Establishing a consistent dental routine also can ensure healthy teeth and catch dental issues early. (MC)
Gymnastics Unlimited
At Gymnastics Unlimited, where every child’s journey begins with a spark of excitement and endless possibility. From the moment you enter our doors, you’ll discover an atmosphere buzzing with the energy of young athletes striving, learning, and having fun. We believe that every child, regardless of experience or skill, deserves the chance to discover their own strengths and reach for new heights.
At the heart of our program is a dedication to nurturing both the body and the mind, providing not just physical training, but also encouragement and support that last well beyond the mat. We understand that true growth happens in a place
where encouragement is abundant and challenges are met with smiles. GU loves our parents! Whether you’re cheering in the stands, snapping action shots, or swapping stories with fellow families, you’re joining a spirited community where laughter and support are always in the air. We know the real champions are the ones driving to practices, tying shoelaces, and celebrating every cartwheel, leap, and tumble — no matter how wobbly. Here, you’re not just dropping off your child for class; you’re helping them flip, twist, and soar toward new milestones, all while making unforgettable memories together.
661-257-2GYM www.gymnastics ultd.com.
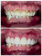
Embrace Your Smile Orthodontics
Dr. Megan LeCornu, Dr. Emilyn Asinas and Dr. Steven Gilbertson have a combined 75 years of orthodontic experience and have been awarded Santa Clarita’s Best Orthodontist for more than a decade by the Santa Clarita Valley Signal and the Daily News.
Dr. LeCornu was extensively trained at the best schools, including the Harvard School of Dental Medicine. She lectures all around the world to other orthodontists about cutting edge techniques in orthodontics. Orthodontic technology is constantly evolving, and our doctors not only utilize the
most advanced technologies, they help develop technology that creates customized treatment plans for each individual patient.
Dr. LeCornu and Dr. Emilyn are one of six board-certified orthodontists in the Santa Clarita Valley. This is only awarded to the top 25% of orthodontists. You can be assured you are receiving the highest level of care at Embrace Your Smile Orthodontics.
Embrace Your Smile Orthodontics caters to patients of all ages, from children visiting for their first orthodontic appointment to retirees taking time for themselves.
Soft Tissue Injuries and How PT Can Benefit Recovery
Soft tissue injuries are more common than people may realize. In fact, anyone with an undiagnosed pain in his or her body may be suffering from a soft tissue injury.
According to Delaware Integrative Healthcare, bone injuries garner significant attention because broken bones and fractures can be very serious. But soft tissue injuries, when left untreated, also can be troublesome and jeopardize individuals’ athletic pursuits.
Verywell Health defines soft tissue injuries as trauma to any muscle, skin, tendon, or ligament in the body. Injuries may result from overuse or acute trauma, which is an external force applied to the body. Common examples of soft tissue injuries are lacerations, abrasions, contusions, sprains/strains, bursitis, and tendinitis.
Strains are injuries to muscles or tendons and sprains are injuries to ligaments, which are elastic bands of tissue that connect and stabilize bones. Both strains and sprains are common soft tissue injuries. Bursitis and tendinitis also are common. Bursitis is an inflammation of the bursa, a fluid-filled sac that provides a cushion between the bones and muscles or tendons. Tendinitis is an inflammation of the tendons, which connect muscles to bones.
Many minor (Grade 1) soft tissue injuries that involve muscles, tendons
and ligaments may heal when injured persons follow the protocol known as R.I.C.E., which is an acronym for Rest, Ice, Compression, and Elevation. R.I.C.E. is widely recommended for these types of injuries. However, more serious soft tissue injuries may take extended time to heal. Some of these injuries also may lead to permanent changes in muscles, tendons and ligaments, causing certain body parts to cease functioning how they used to. That may be the case with Grade 2 (moderate) or Grade 3 (severe) injuries. Further medical
attention may be needed and physical therapy may be prescribed.
The Ace Physical Therapy & Sports Medicine Institute says soft tissue injuries account for most of the injuries that outpatient physical therapists treat. A therapist will analyze the type of injury and the pain or impairment it is causing to develop a rehabilitation program. Physical therapists often perform various treatments geared toward reducing swelling and inflammation. Manual therapies to help restore normal motion also are part of soft tissue treatment plans.
Stretching and strengthening exercises may be incorporated to improve endurance and repair soft tissue. Orthotic therapy may be needed to correct certain imbalances, advises Algonquin Chiropractic Center. Physical therapists also can educate patients about how to strengthen the body to help reduce risk for future injuries.
Soft tissue injuries are common and usually can resolve with rest. Guided physical therapy may be prescribed for more severe cases. (MC)
Award-Winning Care, Close to Home: Kaiser Permanente Recognized for Excellence
Kaiser Permanente Panorama City Medical Center continues to earn recognition for its long-standing commitment to delivering compassionate, high-quality care to the Santa Clarita Valley community.
The medical center holds the prestigious Magnet® designation, which places it among the top 10 percent of hospitals nationwide for nursing excellence.
“Magnet is the gold standard,” said Debora Silva, chief nurse executive. “It reflects the extraordinary work our nurses do every day.”
Thanks to dedicated staff and clinicians, exceptional health care is available in the Santa Clarita Valley. Emergency Room nurse Caroline Hanks recently received the DAISY Award for the compassionate, expert nursing care she provides to patients and families — a national recognition honoring extraordinary nurses for their clinical skill and heartfelt care. Mammography technologist Rosario Escamilla earned the Kaiser Perma-
nente ROSE Award, which celebrates the dedication, compassion, and excellence of non-nursing staff.
In 2025, the American Heart Association honored Kaiser Permanente Panorama City Medical Center with its Get With The Guidelines–Stroke Gold Plus Award, marking the fifth consecutive year the medical center has received this prestigious recogni-
tion. The award includes distinctions on the Target: Stroke Honor Roll Elite Plus and Target: Type 2 Diabetes Honor Roll, underscoring the hospital’s commitment to evidence-based stroke care and outcomes.
The hospital also earned national recognition from U.S. News & World Report as a High Performing Hospital and was named one of Newsweek’s
Best Hospitals in America — highlighting its leadership in patient outcomes, nursing excellence, and care experience.
“Our team continues to raise the bar,” said Olufisayo Bhebe, chief nursing officer. “These recognitions reflect our deep commitment to excellence and compassion in caring for our community.”
Adventure Dental
Why Your Child Deserves a Pediatric Dentist — Not Just Any Dentist
When it comes to your child’s health, you wouldn’t take them to an adult doctor for pediatric care. So why trust their developing smile to anyone but a pediatric dentist?
Children are not just small adults. Their dental needs, behaviors, and emotional responses require a different approach—one built around comfort, trust, and expertise in child development. That’s where pediatric dentists, like the board-certified team at Adventure Dental, come in.
Pediatric dentistry is a specialty that goes beyond dental school. Pediatric dentists complete two additional years of intensive training focused on the oral health of infants, children, and adolescents. This includes everything from child psychology and behavior management to growth and development, sedation, and treating patients with special healthcare needs.
The result? A dental experience that’s built entirely around kids.
At Adventure Dental, your child isn’t just tolerated—they’re welcomed with open arms. From the moment you walk through the door, the atmosphere is colorful, playful, and calm. The equip-
Sment is kid-sized, the staff is trained to work with young patients, and the care is tailored to your child’s specific stage of development—whether they’re teething, growing permanent molars, or gearing up for braces.
Pediatric dentists don’t just fix problems—they help prevent them. Through early visits and ongoing monitoring, they track your child’s dental development, identify risks, and provide proactive treatments like cleanings, sealants, and nutritional counseling to prevent decay. These regular visits build familiarity and reduce dental anxiety, encouraging healthy habits that can last a lifetime.
But what really sets pediatric dentists apart is their ability to meet children where they are—emotionally and developmentally. Using kid-friendly language, a “tell-show-do” approach, and lots of encouragement, pediatric dentists help kids feel safe and empowered. They’re also uniquely trained to treat children with sensory sensitivities, anxiety, ADHD, autism, and other special healthcare needs.
In short, pediatric dentistry is not just about teeth—it’s about creating a positive foundation for lifelong oral health.
The Bottom Line: Your child deserves more than
a routine dental visit. They deserve a dental home where they feel valued, safe, and understood. At Adventure Dental, voted “Best Children’s Dentist” for 12 years running, kids don’t just get checkups — they get a true dental home filled with care, compassion, and smiles.
Ready to give your child the best start? Visit www.adventure.dental to schedule your visit today.
Skin Cancer is the Most Common of Cancers
kin cancer is one of the most common cancers around the world. No one is immune to skin cancer, although those with lighter skin colors are at higher risk.
Melanoma is the most serious form of skin cancer, according to the Mayo Clinic. Melanoma develops in the cells that produce melanin. While the exact causes of melanoma aren’t entirely clear, exposure to ultraviolet radiation greatly increases risk of the disease.
City
Melanoma can develop anywhere on the body, but it is most commonly found on areas that have had significant exposure to the sun, such as the back, legs, arms, and face. It also can form in the eyes. The American Skin Cancer Society says that there is no definitive way to prevent melanoma, but the following are six ways individuals can lower their risk.
Limit UV exposure The most important step to
of Hope® Santa Clarita is honored to be voted the Best Cancer Treatment Center in Santa Clarita for 2025
Our clinical network site and radiation oncology location provide residents of Santa Clarita and surrounding communities with access to cutting-edge treatments and clinical trials — close to home.
Our multidisciplinary team of physicians, researchers, nurse practitioners, and other health care professionals collaborate to diagnose and treat a wide range of solid tumors and blood cancers. At our Santa Clarita locations, patients benefit from the latest advances in chemotherapy, hormonal therapy, immunotherapy, biologic therapy, targeted therapy, and other innovative treatments.
City of Hope is home to one of the nation’s
most comprehensive radiation oncology programs, spanning from our main campus in Duarte to multiple clinical network sites across Southern California. At City of Hope Santa Clarita Radiation Oncology, patients receive state-ofthe-art care from highly trained, board-certified radiation oncologists. Our team offers a compassionate, multidisciplinary approach, access to advanced therapies, the latest in cancer research, and ongoing follow-up care.
These world-class services and technologies reflect our whole-patient approach, ensuring precise treatment, optimal outcomes, and the safest possible care.
Learn more at cityofhope.org/santa-clarita.
take is to protect yourself from UV rays, which includes both natural sunlight and light from tanning beds. Staying in the shade or indoors during peak hours of sunlight can limit UV exposure.
Use sunscreen every day Choose a formula that will screen out both UVA and UVB rays. Apply about two tablespoons of the product at each application. Reapply sunscreen every two hours, even more regularly if you will be swimming or sweating a lot.
Avoid sunlamps and tanning beds Tanning beds and sunlamps are not safer forms of UV exposure. They provide more exposure to UV radiation over a shorter period of time, potentially making them quite dangerous.
Schedule routine skin exams Visit a dermatologist to get a full-body skin exam. A qualified doctor can identify moles or other skin abnormalities that may prove problematic. Always let a doctor know if moles change size or shape.
Learn your family history Healthgrades says some types of melanoma cancer genes are passed from one generation to another. Find out if you can get gene testing if you have several family members with melanoma or a family member who had melanoma more than once.
Melanoma is a potentially life-threatening form of skin cancer, though there are various ways to reduce your risk for the disease. (MC)
About Calminsense Hypnotherapy
By Sara R. Fogan, C.Ht.
Thank you so much, Santa Clarita, for voting me the Best Hypnotherapist in this community for the seventh year in a row. I am truly so honored by and grateful for this tribute. I have worked as a Certified Hypnotherapist and Master in Therapeutic Guided Imagery in this community since I graduated from the Hypnosis Motivation Institute in June 2005. My hypnotherapy practice featured a combination of hypnosis and thera-
peutic-guided imagery techniques to help my clients achieve their vocational and avocational self-improvement goals. I always follow the standards for complete confidentiality as outlined in the ethical guidelines of the American Counseling Association for the conduct of counseling therapists are observed at all times. This “Best of Honor” is bittersweet for me as I closed my hypnotherapy practice this year. It has truly been an honor working with and helping you see your dreams come true. With very best wishes to you!
Sara
Warning Signs for Heart Disease
Heart disease is the leading cause of death for women, men and people of most ethnic and racial groups, advises the Centers for Disease Control and Prevention. One person dies from heart disease every 33 seconds. Understanding the risk factors for heart disease is the first step toward prevention and management.
There are many things people can do to modify their risk for heart disease, but also some that cannot be changed. Ultimately, education is essential either way, and learning the risk factors for heart disease is vital to such education.
Age The risk for heart disease increases with age. For men the risk rises after age 45, and for women, it increases after menopause, or around age 55. Aging naturally leads to changes in the heart and blood vessels that increase the likelihood of developing cardiovascular problems, says the National Institute on Aging.
Sex Initially men are at a higher risk of developing heart disease. However, over time a woman’s risk after menopause tends to equal that of a man’s. As estrogen levels decline after menopause, fat can build up in the arteries, causing them to narrow, says the British Heart Foundation.
Family history Those with a close relative who developed heart disease at an early age may be at elevated risk.
Race UChicago Medicine says Black and Hispanic people have an elevated
Region’s Most Preferred Orthopedic Practice Right Here in SCV
As the region’s most preferred orthopedic practice,* the doctors at Southern California Orthopedic Institute provide the most advanced care available to Valencia.
Their local team of 15 doctors offers experts in every area of surgical and nonsurgical bone, joint and muscle care, including one regenerative medicine doctor offering the latest nonsurgical solutions to help your body heal itself and a fellowship-trained pediatric orthopedic specialist who provides exceptional care for patients 18 years old and under.
cia Surgical Center as well as sameday appointments for urgent issues.
risk of dying from heart disease compared to white individuals. People may be able to change the following controllable risk factors for heart disease.
Hypertension Hypertension, also known as high blood pressure, forces the heart to work harder and can stiffen the arteries. This can damage blood vessels over time. Medications and additional lifestyle changes can help seniors combat hypertension.
Smoking Smoking tobacco can damage blood vessels and reduce oxygen in the blood. Smoking also increases the risk of blood clots. Johns Hopkins Medicine says cigarette smokers are two to four times more likely to get heart disease than nonsmokers.
Cholesterol High levels of low-density lipoprotein (LDL), known as “bad” cholesterol, contribute to the buildup of plaque in the arteries. This can narrow arteries and restrict blood flow.
Sedentary lifestyle A lack of physical activity is a risk factor for obesity, high blood pressure and high cholesterol, each of which increases a person’s chances of being diagnosed with heart disease.
Dental health Poor dental health can allow bacteria to enter the bloodstream, which can potentially lead to inflammation that affects heart health. By understanding risk factors and actively making changes to behaviors that can be modified, people can take strides toward protecting heart health and avoiding cardiovascular disease. (MC)
With comprehensive care for all orthopedic needs, the practice’s Valencia office has convenient on-site services, including physical therapy and occupational therapy as well as imaging services, workers’ compensation, and medical-legal services.
Additionally, their renowned doctors offer specialized procedures nearby at the state-of-the-art Valen-
Southern California Orthopedic Institute is one of the largest private orthopedic practices on the West Coast. Located at 24051 Newhall Ranch Road, Building C, the practice has 15 exceptional doctors available to see and treat patients in the Santa Clarita Valley.
For an appointment or more information about the practice’s doctors and services in Valencia, call (818) 901-6600 or visit www.scoi.com today.
*Independent Market Research.
Corben Optometry How Arthritis Affects Daily Life
Summer time dry eyes?
Itchy, scratchy, sandy. All symptoms of “dry eye”. Dry eye has several causes. But the most common is Meibomian gland dysfunction. This occurs when the glands that surround our eyelids which secrete a natural oil that helps moisturize our eyes start to degrade. This happens over time and can become chronic in nature. There has only been one way to treat and that is with hot compress, lid massaging and lid wipes. There are 2 other ways that get at the root cause. And actually help to cure your MGD.
How does Blephex help with dry eye and Blepharitis?
The key to treatment is therefore very simple … just remove the biofilm, early and often. Biofilm, however, is essentially “super-glued” onto the eyelid margin and is very difficult to remove. A new device called BlephEx (blepharoexfoliation) now allows eye doctors to safely and effectively remove these biofilms
The procedure is painless and done
in the office chair with a mild topic anesthetic. The removal of the biofilm layer takes approximately 10 minutes for both eyes.
The other one is Tempsure
Envi
TempSure Envi is a radiofrequency (RF) laser treatment that safely and effectively treats baggy and dry eyes for a smoother, healthier-looking appearance. Meibomian Gland Disease (MBD) is the leading cause of dry eye and ocular discomfort, and it is now treatable with this radiofrequency laser!
If you are suffering from Dry Eye Syndrome, Envi stimulates clogged tear glands and revives an optimal surface for the eye. After your treatment at, we will provide recommendations and supplements for patients to improve the quality of their tears. If you are suffering from “DRY EYE” it’s time to talk with us about your options.
Calminsense Hypnotherapy
Arthritis is a broad category of joint and connective tissue disorders that impacts around one in five people in both Canada and the United States, according to the Arthritis Society of Canada. In fact, arthritis is a leading cause of disability for many people around the world.
Arthritis becomes a greater concern as people age. That’s particularly so with osteoarthritis, which is degenerative condition caused by repeated use and stress on joints.
Common symptoms include joint pain, swelling, reduced mobility and physical weakness. Symptoms may come and go, but it’s not always easy living with arthritis, particularly rheumatoid arthritis.
There is no cure for arthritis, so working on lifestyle changes can improve quality of life and help people manage day-to-day tasks more easily.
Lose weight Carrying around extra weight can put greater stress on joints, causing more pain and stiffness. Losing a little weight can help
alleviate stress on hips and knees and facilitate mobility.
Take medicine Talk to your doctor about which medicines might be available to help manage daily symptoms. Certain prescriptions and overthe-counter options can help prevent flare-ups and may even reduce the risk of further problems.
Find balance Johns Hopkins Medicine suggests toggling between activity and rest to protect joints and lessen symptoms. Take breaks when needed, and don’t feel down on yourself if you can’t exercise for as long or as intensely as you once did.
Get regular activity Certain exercises can help reduce joint pain and stiffness. Consult with a doctor about what you can do to keep joints flexible. Swimming, walking and low-impact aerobic exercise can promote flexibility.
Arthritis affects millions of people’s lives, but management of the condition can improve quality of life. (MC)
Dr. Samuel A. Kojoglanian
Ten Steps
to a Healthy Heart
1. Forgive. Forgiveness does not release the offender; it releases you. Forgiving decreases stress hormones, blood pressure, and heart attacks.
2. Call it like it is. It’s not, “I’m chubby” … it’s obesity, a body mass index over thirty. A 5% weight loss (decreasing portions - increasing walking) translates into huge health gains.
3. Sales of new weight loss drugs (GLP1 Receptor agonists) may reach $30 billion by 2030. Fenphen was withdrawn in 1997. Be cautious, blame no one, implement disciple, choose portions wisely.
4. Sleep apnea is linked with cardiovascular disease. If you experience daytime somnolence, sleep evaluation may change the
course of your life.
5. Drink Water. A 12oz soda has 40gr (10tbsp) of sugar. Daily recommended sugar intake = 6tbsp (women) – 9tbsp (men).
6. Blood pressure < 130/80 helps avoid strokes.
7. Keep LDL, “bad” cholesterol, < 100; < 70 with history of cardiovascular events.
8. Why so serious? Laughter increases endorphins (healthy hormones) and boosts your immune system.
9. Helping others is the remedy for depression and a grieving heart.
10. Praying guards the heart. Ask the good Lord Jesus to guide, protect, and provide for you (Philippians 4:6-7).
Thank you, Santa Clarita! Celebrating 25 years!
It is an honor for Vargo Physical Therapy to be acknowledged again as the Best Physical Therapy Clinic in the Santa Clarita Valley. It is even further exciting to be recognized for this award while celebrating our 25-year anniversary. A very special thanks to our patients for trusting us with their care and voting for us. Our patients continue to make us look good with their dedication to pursue good health and performance. It’s been a pleasure to serve the Santa Clarita Valley for over 25 years now. Led by our Clinic Directors, Ken Kauffman, PT, MPT at our Valencia clinic and Andy del Rio, MPT at our Santa Clarita clinic, our Physical Therapy staff, aides, and front office staff thoroughly enjoy helping patients every day. Patients have en-
joyed our open and friendly environment, as well as our convenient locations at Granary Square and the Plaza at Golden Valley.
Vargo Physical Therapy is a leading provider of rehabilitation treatment for sports and industrial injuries as well as post-operative and age-related conditions. Vargo Physical Therapy is at the forefront of physical medicine combining state of the art technology with advanced treatment practices and modalities that deliver results.
Our patients and referring doctors provide us with the opportunity to serve patients throughout the northern Los Angeles area. Now with 12 offices, our convenient locations and extended hours allow patients to begin their rehabilitation quickly and efficiently. For more information, please visit us at www.vargoPT. com.
Accounting
Stern, Kory, Sreden & Morgan, An Accountancy Corporation
Architect David Beaumont
Bankruptcy Attorney Young & Chic, LLP
Business Attorney Poole Shaffery
PROFESSIONAL
Civil Attorney Steven B. Chroman, Esq.
Commercial Real Estate Agent Craig Peters
Criminal Attorney Law Offices of Jonathan B. LaFrance, P.A.
Debt Attorney Law Offices of Hale Antico
Divorce Attorney DaCorsi Placencio, P.C.
Engineering and Architectural Design CRC Enterprises
Family Law Attorney The Reape-Rickett Law Firm
Financial Planner Pierson Wealth Management
Personal Injury Attorney Law Offices of Owen, Patterson & Owen
Insurance Company LBW Insurance and Financial Services
Thank you, Santa Clarita, for your continued trust.
I’m honored and humbled to once again be named Santa Clarita’s Best Realtor by the readers of The Signal. This recognition means the world to me because it comes from you — the amazing community I’ve had the privilege of serving.
With over 3,000 successful real estate transactions throughout my career, I am beyond grateful for the repeat clients, referrals, and friendships that have made this journey so rewarding. Your trust and support continue to be the heart of my business.
Santa Clarita isn’t just where I work—it’s my home. Thank you for allowing me to be a part of your lives and your milestones. I look forward to many more years of helping you make your real estate dreams a reality.
With heartfelt thanks,
Kathy Bost
Your Trusted Realtor – Yesterday, Today, and Tomorrow
Why Every Business Owner Needs a Buy-Sell Agreement
By Jason R. Beaman
Owning a business comes with more than just day-to-day operations — it also means planning for the unexpected. One of the most critical but often overlooked issues for a business is what happens when the owners are no longer part of the business. Things can get especially problematic when there are multiple owners. We often counsel our business owners on these issues and one of the best tools for business continuity and succession is a buy-sell agreement.
What is a Buy-Sell Agreement?
ment between co-owners of a business that governs what happens to an owner’s interest in the company if they leave the business, become incapacitated, retire, go through a divorce, or pass away.
Risks without a Buy-Sell Agreement
Without a buy-sell agreement in place, a business may face uncertainty and conflict during a transition. A well-drafted buy-sell agreement will substantially reduce the likelihood that a business will fail during a transition. Some of the most common issues are:
Ownership Disputes During a transition, disputes can arise over who has the right to purchase a departing owner’s interest.
ing partners in business with heirs, ex-spouses, or third parties who have no business experience and lack the shared vision of the founders.
Valuation Challenges Buy-sell agreements typically include a method for valuing the business, reducing the chance of conflict and litigation.
Lack of Liquidity Many buy-sell agreements are paired with life insurance or other funding mechanisms to ensure the remaining owners or the business can afford to buy out the departing owner’s interest.
Protecting Your Business and Its Legacy
A buy-sell agreement is an agree-
Unwanted Partners An owner’s death or divorce could leave remain-
Buy-sell agreements come in many forms and can be tailored to meet the unique needs of your business. Their primary goal is to provide certainty, reduce risk, and safeguard the legacy you’ve worked hard to build.
Whether you’re a co-owner of a family business, a professional practice, or a growing startup, a well-drafted buy-sell agreement ensures clarity and smooth ownership transitions. Because these agreements must address a variety of complex issues, drafting them correctly can be challenging.
At Poole Shaffery, we help business owners create customized buy-sell agreements that reflect their goals and protect their interests. If your business doesn’t have one — or if yours hasn’t been reviewed in years — now is the time to act.
It Pays to Work With a Real Estate Agent
Equity, pre-approval, contingencies, appraisal. These are terms associated with buying real estate, but even seasoned home buyers may not fully understand them. That’s just one of many reasons why buyers and sellers can benefit from the help of a seasoned real estate professional.
Real Estate Professionals
Many people use the terms real estate agent, real estate broker and Realtor® interchangeably. While these professionals handle many similar tasks, there are some notable distinctions between them. A Realtor® is a registered term used to describe a real estate professional who is a member of the National Association of Realtors®. These individuals must adhere to a strict code of ethics, and have access to market data and transaction management services unique to this specific trade organization. A real estate agent
See REAL ESTATE, page 51
Bri King Real Estate Agent
Thank You, Santa Clarita!
I’m incredibly honored and humbled to have been voted Best Real Estate Agent of 2025 by The Signal and the amazing community of Santa Clarita. This recognition means the world to me, and I want to express my heartfelt thanks to every client, friend, neighbor, and supporter who took the time to vote!
Santa Clarita is more than just the place I work—it’s the community I am proud to call my lifelong home! Every day, I have the privilege of helping people navigate one of the most important decisions of their lives: buying or selling a home. Whether it’s a first-time buyer, a growing family, or someone looking to downsize, my goal is always the same—to provide expert guidance, white-glove service, and results that exceed expectations.
At Prime Real Estate, we’re proud to be a boutique brokerage that puts people first. With decades of experience, an in-house licensed construction team, and hundreds of 5-star reviews, we’ve built a reputation based
on trust, transparency, and care. To The Signal, thank you for continuing to shine a light on local businesses and professionals. And to the City of Santa Clarita — thank you for your support, your confidence, and for this beautiful blue ribbon that we proudly hang in our store front window!
With gratitude,
Bri King
Real Estate Broker/Owner 01357740
Prime Real Estate
BriKing.com
Kathy Bost
Receiving the 2025 Santa Clarita Valley’s Best Realtor is a moment of humbleness and gratitude. It’s a testament to the journey I’ve been on for 32 years, filled with connections, stories, and above all, homes.
Every home tells a story, and I’ve had the privilege to be in many tales. It’s these interactions that have been the lifeblood of my career and made every moment fulfilling. To me, real estate hasn’t been just about properties — it’s people, their dreams, and the joy of helping them realize those dreams.
The relationships fostered over the years have enriched my journey, making it more than a career. They’ve provided me with a wealth of experience and learning far greater than any accolade. However, being recognized by my own community — the place I love and work — is a unique and special honor.
I want to share appreciation and heartfelt thanks to my phenomenal team. Their dedication, tenacity, and unwavering commitment are the backbone of our success. This
award is as much theirs as mine, and I couldn’t be prouder of the work we’ve achieved together.
I’m filled with anticipation for the future. Each sunrise brings opportunities and challenges, I commit to you to serve with the same zeal and dedication I always have.
Thank you, Santa Clarita, for your enduring trust and support. I promise to continue serving with the same personal touch and commitment that defined my career over the last three decades. Thank you for this honor and thank you for making my work so incredibly rewarding.
Feel free to call directly with any real estate related questions at (661) 803-3114 or visit online at KathyBost. com.
Sincerely, Kathy Bost
Thank you Santa Clarita for voting Animal Medical Center the “Best Animal Hospital” of 2025 …and an even a bigger
Stern, Kory, Sreden & Morgan
Stern, Kory, Sreden & Morgan is a full-service accountancy firm serving individuals and businesses in diverse industries for over 40 years.
We bring a depth of training and years of experience in financial, administrative and operational management to your accounting needs.
We pride ourselves on having trained staff members who provide specialized services, such as business valuations, certified financial statement audits and business consulting.
Our mission is to develop and maintain long-term client relationships by providing:
• high-quality, in-depth and personalized consulting
• accounting
• auditing, and
• tax services.
We believe that communication, competency and confidentially are the cornerstones of solid client relationships. We learn about your business so we speak your language, and earn your trust by uncompromising commitment to your success through dependable, responsive action on your behalf.
You can rely on the strategies we suggest to take advantage of the latest tax laws and legislation to help you safely minimize exposure and maximize gain.
As a member of the American Institute of Certified Public Accountants (AICPA), SKSM participates in the AICPA Quality Review Program, where the quality in the performance of accounting and auditing procedures is audited on site by another AICPA member firm.
Our firm also offers retirement planning services to suit your needs. Throughout the year, you will see us providing local public seminars educating the community and professionals alike.
We are actively involved in and support numerous community organizations volunteering our time and expertise whenever we can. We would be happy to meet with you to discuss any of your tax and financial needs.
Thank you for voting us as SCV’s Best again for 2025!
Stern, Kory, Sreden & Morgan, AAC, 24961 The Old Rd., 2nd Floor, Stevenson Ranch, CA 91381. (661) 2861040.
REAL ESTATE
Continued from page 49
is licensed to help people buy and sell real estate, and is paid a commission when a deal is completed.
A real estate broker does the same jobs as an agent, but is also licensed to work independently and may employ his or her own agents. The broker also may get a percentage of the commission from agents in addition to his or her own commissions, according to Investopedia.
Buyer and seller
A professional may represent either the buyer or seller or both. A buyer’s agent is negotiating for the buyer in the transaction, while a seller’s agent negotiates for the seller. Real estate professionals also can represent both parties, known as dual agency.
Buying and selling real estate is a complex process. Real estate professionals can simplify the process and make it more enjoyable for buyers and sellers alike.
(MC)
YYoung & Chic LLP
oung & Chic LLP is honored to earn the “Best of SCV” recognition as Best Bankruptcy Attorneys for 2025. This is our 8th such award in a row, and 9th overall!
We have been proudly serving the community for over 20 years, and opened our Valencia office in 2007.
We handle business and personal bankruptcy under Chapter 7, 11, and 13, at all levels of complexity. In bankruptcy cases filed by other lawyers, we offer creditor, investor, and purchaser representation.
Beyond bankruptcy, Young & Chic LLP also focuses on business formation, contracts, dispute resolution, and litigation; real estate issues including title and easement disputes; and estate planning, probate, and contested estate litigation.
Young & Chic LLP is Martindale-Hubbell “AV Preeminent”® rated. Partner Kristen L. Chic was named to Best Lawyers: Ones to Watch® in America for 2025. Partner Mark Young was honored as Santa Clarita Valley Bar Association Lawyer of the Year in 2019.
Young & Chic LLP is a proud sponsor of Bridge to Home SCV (Mark Young has served on that board since 1996). The firm has been a member of the SCV Chamber of Commerce since 2007, the SCV Business Group since 2015, and the Valley Industry Association (VIA) since 2018 (Mark Young serves on the VIA board). Our attorneys are active in the SCV Bar Association and the San Fernando Valley Bar Association.
At Young & Chic LLP we offer high-quality legal services on a
cost-effective basis. We are committed to serving the people and businesses of the SCV for the long haul. For most matters, we offer a no-cost initial meeting for up to 15 minutes, either telephonically, on Zoom, or in person in our office at 25152 Springfield Court, just off Tourney Road north of Valencia Boulevard. We look forward to helping to resolve your legal issue. To learn more, visit us at www. youngchicllp.com (where you can submit a contact form), or call us at (661) 259-9000 to discuss your matter.
Hale Andrew Antico, Esq.
After School Care
The Learning Tree
Air & Heating Service
Nicholas Aire Systems
Appliance Service
World Appliance Repair
Art Fun
Painting with a Twist
SERVICES
Cleaning Company (Commercial)
Assisted Living / Retirement Community
Oakmont Senior Living
Auto Paint & Body Shop
Network Auto Body
Auto Repair
AAMCO Transmissions & Total Car Care
Bail Bond Company
SCV Bail Bonds
Bank
Logix Federal Credit Union
Barber Shop
Aldo Barber Shop
Beauty Salon
Blo Out Lounge
Bookkeeping
Valley Bookkeeping
Career Training
Golden Oak Adult School
Charter School
iLEAD Schools
Child Care Center
Cadence Academy
Preschool
Church
The Sanctuary Church
CBC Cleaning & Construction College
College of the Canyons
Commercial Real
Estate Company
SCV Commerical
Real Estate
Computer Repair
Valencia Computer
Credit Union
Premier America
Drug Recovery Center
Clear Behavioral Center
Escrow Company
Valleywide Escrow
Events
Concerts in the Park City of Santa Clarita
Executive Suites & Office
360 Executive Suites
Gun Range
Oak Tree Gun Club
Insurance Agent
Bolanos Insurance & Financial Services
Mortuary
Crippen Mortuary
Moving Company
Affordable Quality
Moving and Storage
Music School
Little School of Music
Party Rentals
A V Party Rentals
Performing Arts School
Vibe Performing Arts
Pet Groomer
Precious Pets
Grooming Salon
Pet Hospital
Animal Medical Center
Pet Trainer
Religious School
Trinity Classical Academy
School District
Saugus Union
School District
Senior Care
Comfort Keepers
Summer Camp
AngelDogs Training
Pharmacy
Saugus Drugs
Preschool
St. Stephen’s PreSchool
Printing & Graphics Company Feathers Signs, Printing & Wraps
Private School
Legacy Christian Academy
Real Estate Company
Realty Executives
Santa Clarita
Religious College
The Master’s University
Sunshine Day Camp
Tanning Salon
Westside Tan
Tattoo Shop
Santa Clarita Tattoo
Temp Agency
Sage Staffing
Travel Agency
AAA Travel
Tutoring Center
Tutoring Club
Web Design Company
StratDev
Wedding Coordinator
Tricia Dahlgren
Oakmont Senior Living
e are deeply honored and grateful to the readers of the Santa Clarita Signal for voting Oakmont Senior Living as the “Best SCV Assisted Living” for 2025. This recognition is incredibly meaningful to our entire team, and we thank you for your trust and support.
At Oakmont, our mission is to provide not only the highest quality care but also a warm, engaging, and fulfilling environment for our residents. Being acknowledged by our community affirms the heart we put into every aspect of what we do—whether it’s personalized care, exceptional dining, enriching activities, or simply offering a comforting presence.
This award is a reflection of the amazing residents and families we have the privilege of serving each day. Their stories, laughter, and strength inspire us to continually raise the standard of excellence in senior living.
Thank you, Santa Clarita, for welcoming us into your lives and allowing us to be part of your extended family. We are proud to be part of such a caring and vibrant community, and we look forward to continuing our commitment to serving seniors with compassion, dignity, and joy. With heartfelt appreciation, The Oakmont Senior Living Team
Thank You for Making Us Santa Clarita’s #1 Real Estate Choice for 12 Years!
With over 35 years of experience serving Santa Clarita and surrounding areas, our team brings unmatched expertise and deep market knowledge to every transaction. We are proud to be your trusted real estate advisors and are here whenever you need guidance or support.
No matter how the industry evolves, we stay ahead of market trends to ensure you receive valuable insights and the smoothest experience possible. When you’re ready to buy or sell, connect with one of our 125+ dedicated Realty Executives.
Since opening our doors in 1990, our Executive Team and management staff have been committed to honesty, integrity, and outstanding service. As local market experts, we provide stra-
tegic marketing, personalized attention, and exceptional results—helping clients succeed at every step and becoming their go-to resource for life.
As a full-service brokerage, we’ve consistently led the way in listing and selling properties throughout the Santa Clarita Valley, San Fernando Valley, Antelope Valley, and greater Southern California. We’re proud to be the top-selling California franchise for Realty Executives International in sales volume since our inception.
We love living and working in this incredible community and are grateful for the trust you’ve placed in us. For all your real estate needs, visit www.RealtyExecutives-SCV.com or call us at (661) 286-8600.
Financial Tips for Young Professionals
Young adults confront something of a juggling act once they begin their professional lives. For many, that challenge begins with landing and starting a first job, arranging a payment plan for student loans, finding a place to live, and determining savings and personal finance goals. Although entering the workforce and taking a big step toward financial independence can be exciting, it also comes with financial responsibility.
Setting a strong financial foundation as early as possible helps establish long-term financial security. These tips can help young professionals manage their money more effectively.
Take a money management course
Young professionals may be tired of heading to class or making the grade at this point in life, but educating oneself about some of the basic rules of personal finance can help bridge knowledge gaps in this arena. Many young adults have
never been taught the basics of applying for credit and staying out of debt. If you’ve been riding your parents’ financial coattails throughout school, now is the time to learn more, whether it’s through an online course or reading up on the subject.
Set SMART goals The acronym SMART stands for Specific, Measurable, Achievable, Relevant, and Time-bound, and can serve as a roadmap to achieving various goals, including those related to money. Develop a clear plan for your money, which can make it easier to budget and achieve savings-related goals.
Minimize debt The Education Data Initiative says university graduates owe an average of $28,244 on student loans after they leave school, with a monthly payment between $200 and $299. Some graduates have even more debt and higher payments. Managing debt is vital to anyone’s finances. Create a
See FINANCE TIPS, page 56
The Saugus Union School District
The Saugus Union School District (SUSD) Governing Board and District team thank the residents of SCV for recognizing our organization for the second consecutive year as the “Best of.” In a year where SUSD has received several notable awards, being recognized for “Best of” is truly humbling. As a public school district, we strive to serve our community by educating students to achieve our district mission — Excellence in Elementary Education.
SUSD celebrated several academic performance accomplishments this year. This is a result of our outstanding teachers, classified staff, and administrators who strive each day to ensure that students are learning at their highest level. Some of the recognitions received:
• Six (6) schools identified as Califor-
nia Distinguished Schools for their academic achievement during the last award cycle. California identified 336 elementary schools statewide and we are very proud that Cedarcreek, Mountainview, North Park, Plum Canyon, and Rosedell received this distinction. In addition, West Creek received their third consecutive recognition for this award.
• Model Professional Learning Communities (PLC) District was awarded to SUSD for its strong commitment to using the cycle of continuous improvement when examining student learning. This is due to the amazing work of our educational team and the support of our parent community.
• Identified as one of 11 districts statewide and one of 100 nation-
wide as part of the Harvard Study, Education Recovery Score Card, for improvement in both English Language Arts (ELA) and Math post-pandemic. We are on the right track, but we still have much more to do. We thank the community for their faith in our district as we endeavor towards achieving Excellence for each child. Our continued work includes positively impacting student mental health and behavior. In 2019, SUSD began addressing these needs with our Maslow’s Before Bloom’s Initiative. Since that time, SUSD made many changes to programs, systems, and staffing to better meet the mental health and student behavior demands. Research supports student behavior is a nationwide issue, not a SUSD issue; however, we continue to tackle the challenge head on. In 2025,
SUSD started a Behavior Council comprised of teachers, school social workers, and behavior specialists to examine student needs and make recommendations for effective strategies and tools to address challenging behaviors. Behavior is a complex issue. By working together as a district team and partnering with our parent community we will better meet our students’ demands. We look forward to the continued support of our parents as we tackle this issue so all students, staff and parents feel safe and cared for in our schools.
Thank you to the community for this recognition and to the Signal for distinguishing the “Best of” in SCV. SUSD — Together WE Achieve More!
Nicholas Aire Systems the BEST HVAC Company
Thank you to all our loyal customers for voting Nicholas Aire Systems the BEST HVAC company in the SCV for the 14th consecutive year. We are honored to receive this prestigious recognition. We understand that customer satisfaction is the most critical part of any business, and we are always determined to exceed your expectations.
A breath of fresh air: Nicholas Aire Systems, a Santa Clarita family legacy in the bustling landscape of the Santa Clarita Valley, where businesses come and go, one name has consistently stood the reliability, integrity and genuine care: Nicholas Aire Systems. Unlike larger, impersonal corporations, you feel the dedication of a team deeply invested in our community. When you call Nicholas Aire, you’re not just a service ticket: you’re a neighbor, and your comfort is taken personally. Our technicians, installation crew and office staff are not only highly skilled but also friendly and
transparent, ensuring you understand every step of the process. As many satisfied customers attest, Nicholas Aire Systems is the kind of company that will fix a loose wire rather than push for an unnecessary replacement.
For over three decades, Nicholas Aire has been keeping Santa Clarita homes and businesses comfortable, a mission driven by the personal touch of the founders, Nick & Donna & our son, Jeffrey Frank. We understand firsthand the unique climate challenges and the need for dependable heating and air conditioning. When life gets too hot or too cold, we are here for you. We feel very fortunate and blessed to have the opportunity to help so many people with their air conditioning and heating needs. We take so much pride in our city and look forward to helping and servicing our community for many years to come. Thank you again for voting us, “Best in SCV.” Connect with us in person by phone 661.297.8058 or visit us at www.nickaire.com.
FINANCE TIPS
Continued from page 54
debt repayment plan at the earliest opportunity. With a “snowball” strategy, borrowers pay off their smallest debts first. Once a debt is paid off, the payment amount for that debt is then applied to the next smallest debt, gaining momentum with each payment. The “avalanche” approach involves paying off the debt with the highest interest rate first.
¥ Aim to pay with cash more often. Unless you can afford to pay off the balance in full every month, using credit cards a lot can contribute to debt accumulation. LendingTree says that, as of September 2024, the average APR on all new card offers was 24.92 percent. Buying items with cash or debit will reduce the likelihood of spending what you don’t have, offers Investopedia.
¥ Set up an emergency fund. It might be challenging to set aside a lot of money right now when you have an entry-level position and some debt. But setting aside as little
as $1,000 for unexpected life events separate from your own personal savings can shield you from issues that arise from unexpected expenses.
¥ Participate in employer benefit plans. Look for the various ways that your employer can help you save money. This may include participating in retirement plans (including those with employer contribution matches), health spending accounts, gym memberships, and additional opportunities.
¥ Start saving and investing now. According to SmartAsset, if you start investing $150 a paycheck at age 25 and your investments have an average annualized return of 8 percent, after 40 years you’ll have about $1.1 million in your account. Investing the same at age 35 means cutting nearly half of that total simply by procrastinating.
There are many ways young professionals can develop strong financial skills. Working with a certified financial planner also can help young professionals grow wealth over the course of their lives. (MC)
The Santuary Church
I’d like to start by acknowledging how awkward we feel that, out of the 27,000 ballots turned in for the Signal’s Best of the Best … and in the midst of plumbers, pizzas, and plastic surgeons … The Sanctuary Church somehow “won” the award for Best Place to Worship in Santa Clarita. There are several reasons we’re a bit uncomfortable with this accolade, primarily it came down to the “best place to worship” part.
First, we’re sure the “best” part wasn’t determined by commodities; where people have a “what’s in it for me?” mindset. From coffee and donuts to gathering times, or wi-fi signal and the padding of chairs; what is “best” couldn’t be based on the convenience and comforts of a consumer.
Next, when talking about the “place” part, it needed to be about more than just a curb address, a certain setting, atmosphere, or building aesthetic. There might be some who would gravitate toward the real estate value of location, location, location
… close, but not too close … far, but not too far … in the “just right” Goldilocks zone, with ideal parking!
Lastly, there’s the “worship” part which couldn’t just be about a music style, instrumental preference, or a specific song that is sung together… and we all know worship isn’t a w armup for something or someone else. We knew it wouldn’t be about whether the drums were too loud, or the singers not loud enough. Maybe there were some who had strong personal opinions about modern worship “ballads” and time-tested hymns.
No, when we considered all that goes into considering the Best Place to Worship in Santa Clarita, we knew the “best” part had to be about that feeling of being connected in community … where people belong and feel at home, with a family that is FOR them.
We knew the “place” part was talking about more than the Church — the global phenomenon represented on every continent and in more languages than we can begin to
imagine. This award was referring to a local congregation’s “WITH-ness”: gathering, celebrating, and sharing together in their faith and friendship.
And of course, “worship” would be based on the transformation that happens through the surrender and submission of all we are, to all of who God is. It had to be referencing the regular experience of being present in God’s presence, realigning our hearts and minds. Knowing worship
isn’t one section of the Christian life among others, that it’s our entire life, offered to God … exchanging our ways and thoughts for God’s higher ways and thoughts … that had to be the criteria.
Music Lessons in Santa Clarita according to the 2025, Signal
That’s when it hit us… anyone feeling these points of connection means YOUR church is the Best Place to Worship in Santa Clarita … CONGRATULATIONS!
in Santa Clarita Valley
Golden Oak Adult School
G2 5
With Oakmont's premier assisted living and memory care services, residents and their families have peace of mind knowing they are being provided with the highest quality of care.
Oakmont has been honored as the BEST Assisted Living in the Santa Clarita Valley, according to the 2025 Signal Best of SCV Reader’s Poll. This remarkable achievement was made possible with over 30,000 ballots cast this year.
ASSISTED LIVING & MEMORY C ARE
With Oakmont’s assisted living and memory care services, residents and their families can have peace of mind knowing they are being provided with the highest quality of care. A team of skilled professionals provide individualized assistance 24 hours a day, ensuring each resident’s needs are met. Oakmont’s personalized care services are designed to maximize independence, fulfillment, and overall well-being.
MODERN AMENITIES, PREMIER SERVICES
Residents of Oakmont benefit from restaurant-style dining, a full-service salon, a fitness center, a library, a movie theater, and indoor and outdoor common areas. To alleviate day-to-day burdens, Oakmont’s team assists with housekeeping, maintenance, and other tasks, allowing residents to focus on enjoying life to the fullest.
olden Oak Adult School is your local hub for high-demand, career-focused training right here in Santa Clarita! We offer comprehensive programs designed to equip you with the skills and certifications needed to thrive in the booming healthcare and technology sectors. Ready to make a difference in patient care? Explore our popular healthcare programs.
Licensed Pharmacy Technician Master the skills to assist pharmacists, prepare medications, and manage inventory in a vital role.
Certified Medical Assistant B ecome an indispensable part of any medical office, handling both administrative and clinical tasks.
Licensed Phlebotomy Technician In partnership with UCLA, develop the precision and expertise to perform
essential blood collection procedures. Passionate about technology? Our Google IT Support program will prepare you for an exciting career in the fast-paced world of information technology, covering everything from troubleshooting to system administration.
At Golden Oak Adult School, you’ll benefit from experienced instructors, hands-on learning, and a supportive environment dedicated to your success. Our programs are designed to be efficient to get you career-ready sooner.
Don’t wait to invest in your future! Visit GoldenOakAdultSchool.com today to learn more about our upcoming class schedules and how we can help you achieve your career goals. Your new career starts here!
How to Keep an AC Unit Running Strong
Air conditioners are a lifeline come the dog days of summer, when soaring temperatures make a well-cooled home a welcome respite from the outdoors. Maintaining an AC unit ensures it will be there to keep everyone cool when the mercury rises. The following are some steps homeowners can take to keep their AC units in tip-top shape this summer.
Replace the Air Filter
Dirt, dust, debris and pollen can quickly fill the filter on an AC unit. Replacing these filters prior to sum-
mer can make the unit operate more efficiently and keep cool air circulating throughout the house all summer. Homeowners can first identify which type of unit they have and then find an online tutorial to see how to replace the filter. Some filters are more expensive than others, but the cost is still low and the energy savings can be substantial.
Schedule Annual Maintenance
Routine maintenance performed by a local HVAC technician is another way to ensure an AC unit is run-
A Well-Rounded Education Benefits Students
Academic environments have undergone quite a change over the last several decades. Technological advancements have changed the way educators teach and how students learn, but there’s also been a notable shift in what students are learning.
Science, technology, engineering, and math (STEM) has become a point of emphasis in twenty-first century classrooms, and for good reason. The U.S. National Science Foundation notes that a workforce educated in STEM is vital to a country’s prosperity and security. Opportunities in STEM fields are on the rise as well, as the Bureau of Labor Statistics estimates STEM occupations
will grow by roughly 11% between 2022 and 2032.
The value of STEM is undeniable. However, students and parents also should recognize the many ways a well-rounded education that includes math and science but also the humanities and social sciences facilitates strong academic performance.
See EDUCATION, page 60
AAngel Dogs Training
ngelDogs Helping you Have Better Communication with your Pet I have been a professional dog trainer since 2009. Credentials include: Animal Behavior College, Paul Owen Raise with Praise Teacher Training Program, and Certification Council for Professional Dog Trainers CPDT-KA knowledge assessed. I’m also an AKC Canine Good Citizen evaluator, and do a prison program. I’ve been rescuing dogs since 2001, specializing in rescuing deaf dogs since 2009. Every dog is unique and different. At AngelDogs Training we develop a program to fit your dog’s needs. We teach you how to communicate with each other, and help you form a bond with your dog that is built on trust, love and care.
I offer private in-home training. Group classes in two locations: Valencia, and Acton. Beginner’s classes at both locations and intermediate class at the Acton location only. Affordable boarding, and board and train in Acton. Problem behaviors I have solutions for. Specializing in deaf dog training.
A well-rounded education can instill important and useful critical thinking skills in students. When students direct the bulk of their attention to a single subject or category of subjects, they’re less likely to understand how interconnected coursework, and indeed the world, can be.
A well-rounded education can instill in students a more nuanced way of looking at problems and potential solutions. That ability can positively affect students’ personal lives and ultimately their professional lives when their formal schooling ends, as they will be in position to better assess situations.
Comprehension
Tests are designed to gauge students’ grasp of material. Students’ ability to comprehend lessons taught in the classroom is a big part of that, and a well-rounded education fosters strong comprehension skills.
A 2018 report from the New York State Education Department noted that research has found that students are better readers after they have been
exposed to the language and vocabulary of the natural world, the sciences and social studies.
Crossover Benefits
A well-rounded education can help students perform better in all of their subjects. In 2021, a University of Buffalo academic and researcher studying children and dyslexia made a startling discovery regarding the value of reading and how it affects performance in subjects like math.
The research found that reading proficiency crosses academic domains and actually guides how students approach various tasks and solve problems. That means a well-rounded education that includes reading-heavy subjects, like those in the humanities and social sciences, could actually improve how students perform in STEM classes.
A well-rounded education pays a number of dividends for students. Recognition of those benefits might compel parents to support a curriculum that includes a wide array of subjects and academic disciplines. (MC)
Ernie Bolanos, Agent Insurance Lic# 0M84485 23822 Valencia Blvd, Suite 204 Valencia, CA 91355
Bus: 661-200-7260
8:30-5:30 Monday-Friday Evenings & Weekends available by appointment Hablamos Español Thanks, Santa Clarita