Notfallsonografie

Page 1

Gregor Naths
Notfallsonografie Ultraschalldiagnostik im Rettungsdienst

Auswahl von Ultraschallanwendungen im Rettungsdienst nach Indikation/Leitsymp tom (nach Breitkreutz 2008) Indikation/ Leitsymptom Untersuchung nach Frage Schwierigkeitsgrad/ Limitationen

Reanimation FEEL, ggf. Lungensonografie/ eFAST

Potenziell reversible Ursachen:

• Hypovolämie?

• Perikardtamponade?

• Thromboembolie (Lunge, Herz)?

• Spannungspneumothorax?

• freie abdominelle Flüssigkeit?

Training erforderlich. Cave: möglichst kur ze Unterbrechungen der Herzdruckmas sage!

Trauma – V. a. intraabdominel le Blutung

(e)FAST, pFAST

• Hämatothorax?

• freie abdominelle Flüssigkeit?

• Pneumothorax?

Schock/ Hypotonie FEEL, ergänzt um eFAST

• hochgradig eingeschränkte LVFunktion (kardiogen)?

• Perikardtamponade (obstruk tiv)?

• akute Rechtsherzbelastung (LAE; obstruktiv)?

• Volumenstatus (hypovolä misch?)

• freie abdominelle Flüssigkeit (hypovolämisch)?

• Spannungspneumothorax (obstruktiv)?

Akute Dyspnoe FEEL

Lungen sonografie

• LV-Dysfunktion?

• akute Rechtsherzbelastung?

• Perikarderguss?

• Lungenstauung?

• Pneumothorax?

• Pleuraergüsse?

Akuter Thorax schmerz

FEEL

Lungen sonografie

ggf. Abdomen

Akutes Abdo men Abdomen sonografie

• LV-Dysfunktion?

• LV-Wandbewegungsstörun gen?

• akute Rechtsherzbelastung?

• Pneumothorax?

Leicht, schnell erlern bar. Cave: ggf. Wiederho lung im Verlauf!

Einfache Differenzial diagnosen, aber Trai ning erforderlich

Zusatztraining erforderlich

Zusatztraining erforderlich

Zusatztraining erfor derlich

Zusatztraining erfor derlich

• Aortensyndrom? für Fortgeschrittene

• Ileus?

• akute Cholezystitis?

• Nierenkolik?

• akutes Aortensyndrom?

• akuter Harnverhalt? für Fortgeschrittene

Notfallsonografie Ultraschalldiagnostik im Rettungsdienst

Verlagsgesellschaft Stumpf + Kossendey mbH, Edewecht 2022

Anmerkungen des Verlags

Der Autor und der Verlag haben höchste Sorgfalt hinsichtlich der Angaben von Richtli nien, Verordnungen und Empfehlungen aufgewendet. Für versehentliche falsche Anga ben übernehmen sie keine Haftung. Da die gesetzlichen Bestimmungen und wissen schaftlich begründeten Empfehlungen einer ständigen Veränderung unterworfen sind, ist der Benutzer aufgefordert, die aktuell gültigen Richtlinien anhand der Literatur und der (medizinischen) Fachinformationen zu überprüfen und sich entsprechend zu verhalten.

Die Angaben von Handelsnamen, Warenbezeichnungen etc. ohne die besondere Kenn zeichnung ®/™/© bedeuten keinesfalls, dass diese im Sinne des Gesetzgebers als frei anzu sehen wären und entsprechend benutzt werden könnten.

Der Text und/oder das Literaturverzeichnis enthalten Links zu externen Webseiten Dritter, auf deren Inhalt der Verlag keinen Einfluss hat. Deshalb kann er für diese fremden Inhalte auch keine Gewähr übernehmen. Für die Inhalte der verlinkten Seiten ist stets der jewei lige Anbieter oder Betreiber der Seite verantwortlich.

Aus Gründen der Lesbarkeit ist in diesem Buch teilweise nur die männliche Sprachform gewählt worden. Im Gegenzug ist in anderen Teilen absichtlich die weibliche Form gesetzt worden. Alle personenbezogenen Aussagen gelten jedoch stets für Personen beliebigen Geschlechts gleichermaßen.

Bibliografische Information der Deutschen Nationalbibliothek

Die Deutsche Nationalbibliothek verzeichnet diese Publikation in der Deutschen Natio nalbibliografie; detaillierte bibliografische Daten sind im Internet über http://dnb.dnb.de abrufbar.

Alle Rechte, insbesondere die der Übersetzung, des Nachdrucks, der Entnahme von Abbil dungen oder Textteilen, vorbehalten. Einspeicherung in elektronische Systeme, Funksen dung, Vervielfältigung in jeder Form bedürfen der schriftlichen Zustimmung der Autorin nen und Autoren sowie des Verlags. Auch Wiedergabe in Auszügen nur mit ausdrücklicher Genehmigung.

© Copyright by

Verlagsgesellschaft Stumpf + Kossendey mbH, Edewecht 2022

Titelbild: Peer G. Knacke, Eutin

Satz: Bürger Verlag GmbH & Co. KG, Edewecht

Druck: mediaprint solutions GmbH, 33100 Paderborn

ISBN 978-3-96461-053-9

Inhalt

Abkürzungen 7

1 Einleitung 9

2 Physikalische Grundlagen und Gerätetechnik 11

2.1 Physikalische Grundlagen 11

2.2 Gerätetechnik 15

2.3 Handhabung des Ultraschalls 20

2.4 Artefakte 22

2.5 Sicherheit des Ultraschalls 25

3 Sonografische Normalanatomie 27

3.1 Abdomen 28

3.2 Thorax 35

4 Pathologische Befunde 43

4.1 Freie abdominelle Flüssigkeit 43

4.2 Pleuraerguss 45

4.3 Perikarderguss 51

4.4 Pneumothorax 52

4.5 Lungenstauung 54 4.6 Pathologie der Vena cava inferior (VCI) 55

4.7 Eingeschränkte Herzfunktion (linksventrikulär) 57

4.8 Akute Rechtsherzbelastung 58

5 Untersuchungskonzepte 63

5.1 FAST 63

5.2 EFAST 71

5.3 PFAST 71

5.4 FEEL 72

5.5 RUSH 77 5.6 Weitere Untersuchungsschemata 80

6 Indikationen für präklinischen Ultraschall 81

6.1 Reanimation 81

6.2 Polytrauma 85

6.3 Schock unklarer Genese 86

6.4 Akute Dyspnoe 89

5 ˘ Inhalt

6.5 Akuter Thoraxschmerz 90

6.6 Akutes Abdomen 91

7 Weitere Einsatzmöglichkeiten des präklinischen Ultraschalls 99

7.1 Tubuslagekontrolle 99

7.2 Gefäßzugang 101

7.3 Thoraxdrainage 102

7.4 Perikardpunktion 103

8 Mobile Sonografiegeräte 105

8.1 Anforderungen an ein mobiles Ultraschallsystem für den präklinischen Einsatz 105

8.2 Marktübersicht mobiler Sonografiegeräte 108

9 Ausbildung in präklinischer Sonografie 115

9.1 Ausbildung in fokussierter Sonografie für Ärzte 115

9.2 Ausbildung in fokussierter Sonografie für Rettungsfachpersonal 116

10 Wertigkeit des präklinischen Ultraschalls 117

10.1 Sonografie Abdomen (FAST, eFAST und pFAST) 117

10.2 Lungensonografie 118

10.3 Fokussierte Echokardiografie (FEEL) 118

10.4 Anwendung des präklinischen Ultraschalls durch nicht-ärztliches Rettungsfachpersonal 119

10.5 Aktuelle Situation in Deutschland 120

10.6 Ausblick 120

11 Literaturverzeichnis 121

12 Abbildungsnachweise 124

13 Danksagung 125

14 Über den Autor 125

15 Index 126

6 ˘ Inhalt

2 Physikalische Grundlagen und Gerätetechnik

2.1 Physikalische Grundlagen

Um die Funktionsweise eines Ultraschallgerätes besser nachvollziehen zu können, wer den im Folgenden einige Grundlagen der Physik dargestellt, wobei auch die Wellentheorie angerissen wird.

„Schall“ bedeutet mechanische Schwingungen von Teilchen in einem elastischen Medium (z. B. Luft oder Wasser). Breiten sich die Schwingungen von der Quelle aus, spricht man von „Schallwellen“. Die Schallwellen entsprechen Druck- und Dichteschwankungen in dem Medium, in dem sie sich ausbreiten. Die Ausbreitung von der Quelle erfolgt longi tudinal, d. h. vom Empfänger gesehen in eine Richtung.

Wie bei anderen Wellen auch (man denke an Meereswellen) bedeutet eine Schallwelle nicht, dass das schwingende Teilchen seinen Ort verändert. Das schwingende Teilchen besitzt eine Energie (Schwingungsenergie, eine Form der kinetischen Energie). Bei Aus breitung der Schwingung gibt das schwingende Teilchen seine Schwingungsenergie an benachbarte Teilchen ab, es regt also diese wiederum zum Schwingen an. So setzt sich die (Schall-)Welle durch das Medium fort.

Der Energiegehalt von Wellen berechnet sich über die Frequenz (also wie oft pro Zeit einheit ein Teilchen schwingt) und über die Wellenlänge (also den Abstand von Wellen tal zu Wellental). Dabei gilt: Je höher die Frequenz und je kürzer die Wellenlänge, desto höher ist die enthaltene Energie. Verdeutlicht werden kann dies am Beispiel des Lichts, d. h. Infrarot und Ultraviolett: Infrarotlicht besitzt eine hohe Wellenlänge und eine nied rige Frequenz und ist recht energiearm, während ultraviolettes Licht mit höherer Frequenz und kürzerer Wellenlänge energiereicher ist und daher z. B. einen Sonnenbrand verursa chen kann.

Schallwellen können sich nur in einem Medium ausbreiten. Die Geschwindigkeit, mit der sich Schallwellen in einem Medium ausbreiten, wird als „Schallgeschwindigkeit“ bezeichnet. Sie ist abhängig von der Dichte und der Kompressibilität des Mediums, sodass sich Schallwellen im Wasser ungefähr viermal so schnell wie in der Luft fortbewegen (Ausbreitungsgeschwindigkeit des Schalls in Luft 333 m/s, in Wasser 1.490 m/s). Gene rell gilt: Je dichter und je weniger kompressibel ein Medium ist, desto schneller breitet sich der Schall darin aus. Die verschiedenen Schallausbreitungsgeschwindigkeiten u. a. im menschlichen Gewebe zeigt Tabelle 1

Tab.

Luft

Wasser 1 490

Leber 1 549 m/s

Knochen 3.360 m/s

im menschlichen Gewebe

11 2 ˘ Physikalische Grundlagen und Gerätetechnik
1 ˘ Schallausbreitungsgeschwindigkeit
333 m/s
m/s

„Ultraschall“ bezeichnet Schallwellen mit einer Schwingungsfrequenz oberhalb des menschlichen Hörvermögens. Das menschliche Gehör kann Schallwellen in einem Fre quenzbereich von 16 – 20.000 Hz (1 Hz = 1 Schwingung pro s) wahrnehmen. Der Ultraschall bereich beginnt bei Frequenzen ab 20.000 Hz (= 20 kHz). Der Frequenzbereich ab 1 Giga hertz/109 Hz wird als „Hyperschall“, der Bereich unter 16 Hz als „Infraschall“ bezeichnet. In der Natur sind auch die vom Menschen nicht wahrnehmbaren Schallfrequenzen verbrei tet, so stoßen Fledermäuse Ortungsrufe mit Frequenzen von 15 – 150 kHz aus.

Die Schallfrequenz der medizinisch genutzten Ultraschallgeräte liegt noch einmal deut lich über dem Frequenzspektrum der Fledermäuse. Typische medizinische Ultraschallge räte nutzen ein Frequenzspektrum, je nach Anwendungsbereich, von 2,5 – 5,0 Megahertz (1 MHz = 106 Hz), also 2 500 – 5 000 kHz.

Tritt Schall von einem Medium in ein anderes über, wird ein Teil der Schallenergie von diesem neuen Medium absorbiert, d. h. die kinetische Energie der schwingenden Teil chen wird in Wärme umgewandelt. Ein anderer Teil der Schallenergie wird beim Über gang an der Grenzfläche der beiden Medien reflektiert. Grund hierfür ist der unterschiedli che Widerstand, den die verschiedenen Medien der Schallausbreitung entgegensetzen, die sog. Impedanz. An der Grenze zwischen zwei Medien unterschiedlicher Impedanz kommt es daher zu einem „Impedanzsprung“. Je höher der Impedanzsprung ist, desto mehr ein

12 2 ˘ Physikalische Grundlagen und Gerätetechnik
Schallkopf Schallkopf Haut Gel Grenzfläche A Grenzfläche B Grenzfläche C 45 tA 2 tB 2 tC 2 Abb. 1 ˘ Funktionsweise von Ultraschall (nach Hofer 2020: 6)

tretende Ultraschallenergie wird reflektiert und zum Sender zurückgeworfen. An mensch lichen Knochen ist der Impedanzsprung zwischen umgebendem Gewebe und Knochen so groß, dass nahezu die gesamte Ultraschallenergie zurückgeworfen wird („Totalrefle xion“) und keine unterhalb des Knochens liegenden Strukturen im Ultraschallbild abge bildet werden. Auch am Übergang vom Schallkopf zur Luft liegt eine Totalreflexion auf grund eines ausgeprägten Impedanzsprungs vor. Ohne Ultraschallgel als Trägersubstanz ist daher keine Ultraschalluntersuchung möglich.

Auf diesen Impedanzsprüngen beruht die diagnostische Anwendung des Ultraschalls in der Medizin: An der Grenzfläche von anatomischen Strukturen unterschiedlicher Dichte und damit Schallleitungsfähigkeit wird der Ultraschall unterschiedlich stark reflektiert. Es entsteht das sog. Echo. Aus der zeitlichen Latenz zwischen ausgesandtem Schallsignal und wieder eintreffendem Echo kann der in das Ultraschallgerät integrierte Rechner die Tiefe einer Struktur bestimmen.

Das berechnete Echo wird auf dem Monitor des Ultraschallgeräts in verschiede nen Graustufen von Schwarz bis Weiß dargestellt (Tab. 2). Dabei gilt: Je mehr Impedanz sprünge ein Organ oder eine Struktur aufweist, desto mehr Echos erzeugt es (d. h. desto mehr Schallwellen werden zurückgeworfen). Diese Echos werden im Bild hell dargestellt, im Fachjargon „echoreich“ (Abb. 2). Je weniger Impedanzsprünge ein Organ oder eine Struktur zeigt, desto weniger Echos werden erzeugt und desto dunkler wird das Bild auf dem Monitor („echoarm“, Abb. 3). Homogene Flüssigkeiten, in denen sich der Schall unge hindert ausbreiten kann, werfen kein Echo zurück, daher erscheinen sie auf dem Monitor schwarz („echofrei“, Abb. 4).

Tab. 2 ˘ Strukturen im Ultraschallbild

Bilddarstellung Echogenität

Schwarz echofrei

Bedeutung

homogene Flüssigkeit (Blut, Urin, Ergüsse...)

höherer Flüssigkeitsgehalt Hell echoreich niedrigerer Flüssigkeitsgehalt

Dunkel echoarm

Weiß sehr echoreich Totalreflexion (Luft, Knochen)

Erzeugt werden die Ultraschallwellen über den sog. piezoelektrischen Effekt im Schallkopf des Geräts. Spezielle Kristalle, oft Quarzkristalle, werden durch einen elektrischen Impuls verformt und geben daraufhin eine Schalldruckwelle ab. Trifft das elektrische Signal als Wechselstrom ein, schwingen die Kristalle in genau der Frequenz des eingehenden Wech selstroms und erzeugen die gewünschte Schallfrequenz. Umgekehrt können die Kristalle auch als Empfänger agieren: Das aus dem Gewebe eintreffende Schallecho erzeugt durch Kompression der Kristalle einen elektrischen Impuls, der von der angeschlossenen Elek tronik zu einem Bild weiterverarbeitet wird. In einem einzelnen Ultraschallkopf sind zahl reiche solcher Kristalle verbaut.

13 2 ˘ Physikalische Grundlagen und Gerätetechnik
14 2 ˘ Physikalische Grundlagen und Gerätetechnik Abb. 2 ˘ Leber (1) = echoreich. Im Leberparenchym ein „Hämangiom“ = Blut schwamm (2), echoreicher Abb. 3 ˘ Nierenparenchym (1) = echoarm im Vergleich zur Leber (2) 2 1 1 2

Abb. 4 ˘ Nierenzysten (1) = echofrei

2.2 Gerätetechnik

Physikalisch gilt: Je höher die Schallfrequenz, desto besser die Auflösung, aber desto gerin ger die Eindringtiefe. Auf dieser einfachen Tatsache beruht das unterschiedliche Portfo lio an Schallköpfen im klinischen Alltag. Es gibt keinen Universal-Schallkopf, der für alle Anwendungen hervorragend geeignet wäre. Jeder Gewinn an Auflösung geht einher mit einem Verlust an Eindringtiefe und umgekehrt. In der Klinik werden daher standardmä ßig drei verschiedene Schallkopfarten eingesetzt: der Linear-, der Sektor- und der CurvedArray-Schallkopf (auch als Konvexschallkopf bezeichnet).

3

und Einsatzgebiete der Schallköpfe in

Die in den Geräten für die präklinische Sonografie eingesetzten Schallköpfe entsprechen je nach Hersteller einem dieser drei oder bieten teilweise auch 2-in-1-Konzepte. Mehr dazu in

15 2 ˘ Physikalische Grundlagen und Gerätetechnik
1 1
Tab.
˘ Frequenzspektrum
der Klinik Linear (Linear Array) Sektor Konvex (Curved Array) Frequenz 5,0 – 10,0 MHz 2,0 – 3,0 MHz 2,5 – 5,0 MHz Schallfeld rechteckig fächerförmig „Kaffeefilter“ Vorteil sehr gute Nahfeld auflösung große Eindringtiefe, kleine Ankopplungsfläche gute Nahfeld- und noch gute Fernfeldauflösung Einsatz Schilddrüse, Gefäße Herz Abdomen, Thorax
Kapitel 8.

Ultraschallmodi

Grundsätzlich werden in der Ultraschalldiagnostik vier verschiedene Modi unterschieden: A-Mode, M-Mode, B-Mode und (Farb-)Doppler.

Der A-Mode war das erste überhaupt einsetzbare Ultraschallverfahren. „A“ steht für Amplitudenverfahren, eine rein eindimensionale Untersuchungsmethode (quasi gab es nur einen sendenden und empfangenden Kristall). Der A-Mode wird nicht mehr einge setzt.

Es folgte der M-Mode (von „Time Motion“). Auch hier wird ein einzelner Ultraschall strahl eingesetzt, dessen Echos aber wie bei einem EKG oder EEG fortlaufend registriert werden. Die reflektierten Echos verschiedener Gewebe bilden im Zeitverlauf verschie dene Linien, die sich in ihrer Helligkeit unterscheiden. Der M-Mode wird häufig in der Kar diologie eingesetzt, um Bewegungen der Herzklappen im Herzzyklus darzustellen. Auch die Bewegung des Zwerchfells während der Atmung lässt sich im M-Mode gut darstellen (Abb. 6).

Das Standardultraschallbild wird im B-Mode dargestellt. „B“ steht für „Brightness“, also eine helligkeitsmodulierte Abbildung der verschiedenen Echos. Die Rechnereinheit des Geräts setzt aus den vielen verschiedenen eintreffenden Echos (abhängig von der Zahl der im Schallkopf verbauten Piezokristalle) das endgültige, in Graustufen dargestellte Bild auf dem Monitor zusammen (Abb. 7).

Der Doppler-Ultraschall ist eine Ergänzung zum B-Mode, mit dem Flussrichtungen und indirekt Geschwindigkeiten von Flüssigkeiten im Körper berechnet und farbig dargestellt werden können (Farbdoppler). Grundlage des Doppler-Ultraschalls ist der Doppler-Effekt,

Abb. 5 ˘ Von links nach rechts: Sektorschallkopf, Linearschallkopf, Konvexschallkopf
16 2 ˘ Physikalische Grundlagen und Gerätetechnik

4 Pathologische Befunde

4.1 Freie abdominelle Flüssigkeit

Von freier abdomineller Flüssigkeit (FAF) spricht man, wenn sich im Ultraschall echofreies Material im Bauchraum (intraperitoneal) findet. Normalerweise ist in der Bauchhöhle keine Flüssigkeit zu erwarten, d. h. der sonografische Nachweis von freier intraabdominel ler Flüssigkeit ist immer als pathologisch anzusehen. Freie Flüssigkeit muss aber nicht in jedem Fall Blut sein. Freie Flüssigkeit aufgrund einer anderen Vorerkrankung wird auch als „Aszites“ bezeichnet. Aszites ist Flüssigkeit, die entweder aktiv in die Bauchhöhle sezer niert wird oder passiv aus den Gefäßwänden austritt.

Tab. 6 ˘ Differenzialdiagnose freier abdomineller Flüssigkeit

• Blut

• Maligne (Peritonealkarzinose)

• Entzündung (Peritonitis)

• Stauung (Herzinsuffizienz)

• Leberzirrhose

• Überwässerung (Niereninsuffizienz)

43 4 ˘ Pathologische Befunde
Abb. 34 ˘ Morison-Pouch (1) zwischen Leber (2) und rechter Niere (3). Rechtsseitiger Flankenschnitt 1 2 3
Abb. Abb.
44 4 ˘ Pathologische Befunde
36 ˘ Douglas-Raum (1) dorsal der Blase (2). Unterbauchlängsschnitt
35 ˘ Koller-Pouch (1) zwischen Milz (2) und linker Niere (3). Linksseitiger Flan kenschnitt 3 2 1 21

Die Unterscheidung zwischen einer Blutung in die Bauchhöhle und einer anderen Ursa che der FAF ist präklinisch oft nur anhand der Wahrscheinlichkeit möglich. Für eine end gültige Diagnosesicherung ist eine Punktion notwendig. Oft hilft aber der gesunde Men schenverstand – bei einem akut außerorts mit dem Motorrad verunglückten jungen Mann mit freier abdomineller Flüssigkeit ist ein Aszites durch Leberzirrhose nicht unbedingt die wahrscheinlichste Diagnose.

Zunächst sammelt sich mögliche freie Flüssigkeit an drei typischen präformierten Stel len im Bauchraum und kann hier sonografisch dargestellt werden. Dies sind der MorisonPouch, der Koller-Pouch und der Douglas-Raum (von engl. „Pouch“ für „Beutel“, Abb. 34 –36).

Der Morison-Pouch ist eine Aussackung des Peritoneums zwischen Leberunterrand und rechter Niere. Dem entspricht auf der Gegenseite der Koller-Pouch zwischen Milz und linker Niere. Der Douglas-Raum befindet sich dorsal hinter der Harnblase und zieht bis ins kleine Becken.

Findet sich die Flüssigkeit nicht „frei“, sondern als echoarmer mehr oder weniger aus geprägter Saum zwischen Milz und Milzkapsel oder zwischen Leber und Leberkapsel, ist gerade bei einem Abdominaltrauma von einer (noch!) gedeckten Organruptur auszuge hen. Hier droht dann als zweizeitiges Geschehen die Ruptur der Kapsel in die Bauchhöhle mit folgender erheblicher Blutung.

Sonografie bei freier abdomineller Flüssigkeit

In Anbetracht der Umgebungsumstände und der Notfallsituation wird ein Patient mit möglicher freier abdomineller Flüssigkeit in Rückenlage untersucht werden. Zur Abdo mensonografie wird der Curved-Array-Schallkopf verwendet.

Tab. 7 ˘ Pouches und ihre sonografische Anlotung

Ort Anlotung

Morison-Pouch

rechtsseitiger Flankenschnitt

Koller-Pouch linksseitiger Flankenschnitt Douglas-Raum Unterbauchquer- und Unterbauchlängsschnitt

Je nach Menge der freien Flüssigkeit ist in den beschriebenen Räumen ggf. nur eine schmale echofreie Lamelle zu erkennen, bei erheblichen Mengen freier Flüssigkeit ist diese aber auch im ganzen Bauchraum sichtbar. So sieht man bei Patienten mit fortge schrittener Leberzirrhose oftmals im ganzen Bauch nur noch „schwarz“, und darin einge bettet die parenchymatösen Oberbauchorgane ebenso wie den Darm.

4.2 Pleuraerguss

Der Pleuraerguss (PLE) ist definiert als pathologische Flüssigkeitsansammlung im Brust korb zwischen Pleura visceralis und parietalis. Ursächlich kann Flüssigkeit aktiv in die Pleurahöhle sezerniert werden oder passiv aus dem Gefäßsystem austreten. Ein Pleura

45 4 ˘ Pathologische Befunde
Abb. 37 ˘ Freie Flüssigkeit (FAF) (1) im Morison-Pouch. Rechtsseitiger Flankenschnitt Abb. 38 ˘ Freie Flüssigkeit (FAF) (1) im Koller-Pouch. Linksseitiger Flankenschnitt
46 4 ˘ Pathologische Befunde
1 1

5 Untersuchungskonzepte

Die Indikation zum Einsatz des Ultraschalls in der Präklinik unterscheidet sich deutlich vom routinemäßigen Einsatz in der Klinik. Abgesehen von der Ultraschallanwendung in der Notaufnahme oder im Schockraum dient die Sonografie in der Klinik/Praxis der all gemeinen oder speziellen Beurteilung eines Organs oder Organsystems. Es geht z. B. um die Frage nach einer akuten Cholezystitis bei Oberbauchschmerzen, die Suche nach einem intraabdominellen Fokus bei unklarer Infektion oder die Beurteilung von kardialen Wand bewegungsstörungen bei Verdacht auf eine koronare Herzkrankheit. Insbesondere ist im Normalfall davon auszugehen, dass der zu untersuchende Patient optimal vorbereitet ist und der Untersucher nicht unter Zeitdruck steht. Somit ist eine detaillierte Feindiagnos tik möglich.

In der Präklinik (und auch in Notaufnahme/Schockraum) hat man es meistens jedoch mit einem kritisch kranken Patienten zu tun, der nicht vorbereitet ist und auch nur selten optimal gelagert werden kann. Die Untersuchung findet unter Zeitdruck statt und soll hel fen, ein Leitsymptom (z. B. Schock, Dyspnoe) grob einzuschätzen. Diffizile Feinabstimmun gen am verwendeten Ultraschallgerät sind präklinisch zumindest nicht möglich.

Die zügige Ultraschalldiagnostik eines kritisch kranken Patienten ist so zu strukturieren, dass keine wesentlichen Befunde übersehen werden, aber dennoch der Zeitbedarf möglichst gering bleibt. Hierfür wurden verschiedene strukturierte Untersuchungsgänge entwickelt, die in dieser Form trainiert werden müssen.

5.1 FAST

FAST ist das Akronym für „Focused Assessment with Sonography for Trauma“. FAST war der erste strukturierte Ultraschallalgorithmus für die Untersuchung von kritischen Pati enten, hier Traumapatienten, und wurde 1995 erstmals beschrieben (Rozycki 1995). Ursprünglich war FAST für den Einsatz im Schockraum im Rahmen des ATLS®-Survey vor gesehen. Der Begriff „fokussierte“ Untersuchung soll darauf hinweisen, dass der (instabile) traumatisierte Patient mit dem Ultraschall speziell auf freie Flüssigkeit in den Körperhöh len untersucht wird. Es geht also gerade nicht um eine typische internistische Abdomen sonografie, bei der jedes Organ in mindestens zwei Ebenen komplett durchgemustert und dargestellt wird.

Die zu untersuchenden Körperhöhlen, in denen sich freie Flüssigkeit (beim Traumapa tienten Blut) sammeln kann, sind:

• die Thoraxhöhle beidseits

• das Perikard und

• die Abdominalhöhle.

63 5 ˘ Untersuchungskonzepte

Abb. 56 ˘ FAST-Raute am Abdomen mit den Schallkopfpositionen: Flankenschnitt rechts (1), Flankenschnitt links (2), medianer Unterbauchquer- und -längsschnitt (3) sowie subxiphoidal (4)

FAST dient dem Nachweis freier Flüssigkeit in den Körperhöhlen. FAST kann vom trainierten Anwender innerhalb von nur zwei Minuten durchgeführt werden und verzögert so die weitere Untersuchung des Notfallpatienten nicht relevant.

Eingesetzt werden sollte ein Schallkopf mit ausreichender Eindringtiefe, um das Abdo men adäquat darstellen zu können, d. h. vorzugsweise der Curved-Array-Schallkopf. Der Linearschallkopf ist wegen der geringen Eindringtiefe bei Erwachsenen eher nicht geeig net, kann allerdings bei Kindern durchaus angewendet werden.

Die Untersuchungsabfolge des FAST entspricht einer Raute mit Eckpunkten subxiphoi dal, an beiden Flanken und über der Symphyse (Abb. 56). Die Untersuchung erfolgt am auf dem Rücken liegenden Patienten. Der Schallkopf wird in den jeweiligen Positionen gekippt, verschoben und gedreht, bis freie Flüssigkeit (im Ultraschallbild schwarz/echo frei) in den jeweiligen Räumen ausgeschlossen ist.

Folgende vier Positionen sind zu untersuchen:

Position 1: Flanke rechts

Mit der Schallkopfposition an der rechten Flanke werden zwei Zielareale durchmustert: Kranial oberhalb des Zwerchfells stellt sich die rechte Pleurahöhle dar, in der ein mögli

64 5 ˘ Untersuchungskonzepte
1 2 4 3
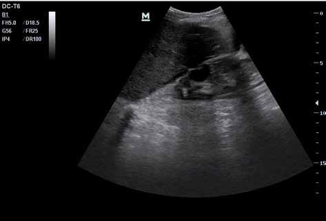
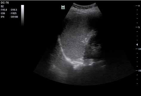
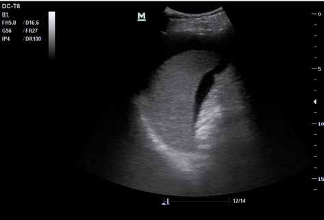
65 5 ˘ Untersuchungskonzepte 1 Abb. 57 ˘ FAST-Position 1 – Flankenschnitt rechts Abb. 58 ˘ Normalbefund FAST-Position 1: Leber (1), Niere (2), Morison-Pouch (3), Pleurawinkel (4) 3 1 4 2
66 5 ˘ Untersuchungskonzepte 2 Abb. 59 ˘ FAST-Position 2 – Flankenschnitt links Abb. 60 ˘ Normalbefund FAST-Position 2: Milz (1), Niere (2), Koller-Pouch (3) und Pleurawinkel (4) 4 1 3 2

7 Weitere Einsatzmöglichkeiten des präklinischen Ultraschalls

In den vorhergehenden Kapiteln wurde gezeigt, dass der präklinische Ultraschall bei zahl reichen Symptomen und Erkrankungen eine sinnvolle Ergänzung in der Diagnostik sein kann. Dem erfahrenen Anwender bietet der Ultraschall weitere Möglichkeiten und kann u.a. bei notwendigen invasiven Maßnahmen die Sicherheit für den Durchführenden und den Patienten erhöhen, indem er Zugangswege definiert, die sonst anhand anatomischer Landmarken und Augenschein zu wählen sind.

7.1 Tubuslagekontrolle

Goldstandard der Atemwegssicherung ist die endotracheale Intubation. Die präklinische Anwendung ist erfahrungsgemäß aber mit einem deutlich erhöhten Risiko der Fehlintu bation (ösophageale Fehllage) verbunden, die im unerkannten Fall deletäre Folgen für den Patienten haben kann. Der Einsatz der Kapnografie zur Tubuslagekontrolle wird zwin gend gefordert, da sich so die unerkannte Intubation des Ösophagus nahezu komplett ver meiden lässt. Sie kann aber nicht sicher dazu beitragen, bei einem schwer kreislaufdepri mierten Patienten, der nur sehr wenig Kohlendioxid produziert, eine zu tiefe Intubation und damit die Ventilation nur eines Lungenflügels auszuschließen.

Sonografische Tubuslagekontrolle

Der frisch intubierte Patient befindet sich in Rückenlage.

Variante 1: Indirekte Tubuslagekontrolle über Lungenbelüftung

Wie immer bei der Lungensonografie werden der Curved-Array- oder Linearschallkopf verwendet und die bekannten anterioren Positionen (eFAST, 3./4. ICR in der MCL) aufge sucht. Die Lungenoberfläche mit der Pleura visceralis wird eingestellt, um zu prüfen, ob bei einem Beatmungshub das typische Lungengleiten zu erkennen ist. Ist beidseits Lun gengleiten vorhanden, ist von einer korrekten Lage des Endotrachealtubus auszugehen. Findet sich das Lungengleiten nur auf einer Seite, klassischerweise der rechten, könnte der Tubus zu tief liegen. Wichtig ist in dieser Situation, auf der nicht ventilierten Seite anhand der besprochenen Merkmale einen Pneumothorax auszuschließen, damit unter kontrol lierter Beatmung kein Spannungspneumothorax entsteht. Ist kein Pneumothorax nach weisbar, muss die Tubuslage so lange kontrolliert bzw. korrigiert werden, bis beide Lun genflügel wieder belüftet sind.

Variante 2: Direkte Tubuslagekontrolle über (Nicht-)Visualisierung des Tubus

In der Variante 2 wird am Hals des Patienten versucht, den Tubus sichtbar zu machen. Hier ist der Positivbeweis als negativ anzusehen: Mit dem Linearschallkopf wird im Quer schnitt unterhalb des Krikoids die Trachea geschallt. Sowohl beim Nicht-Intubierten als

99 7 ˘ Weitere Einsatzmöglichkeiten des präklinischen Ultraschalls

Abb.82 ˘ SonografischesBild(Linearschallkopf)derTubuslagekontrolle:linkskorrekteLage,rechtsinkorrekteLage(Foto:RaoulBreitkreutz,Frankfurt)

auch beim korrekt Intubierten ist nur die echoreiche Wölbung der Tracheavorderwand mit folgender Schallauslöschung aufgrund der intratracheal enthaltenen Luft zu erkennen (Abb. 82 links). Liegt der Endotrachealtubus aber fehl im Ösophagus, so kann man ein zweites rundliches echoreiches Lumen mit dorsaler Schallauslöschung darstellen(Abb. 82 rechts)–eindefinitiverHinweisaufeineFehlplatzierungdesTubus.

Abb. 83 ˘ Sonografisch gesteuerte Venenpunktion (Fotos: Christian Breitling, Magde burg)

100 7 ˘ Weitere Einsatzmöglichkeiten des präklinischen Ultraschalls

7.2 Gefäßzugang

Nahezu jeder Notfallpatient benötigt einen Zugang zum Gefäßsystem, um Medikamente und/oder Infusionen zu verabreichen. Grob könnte man sagen: Je kritischer der Patient, desto wichtiger und dringender ist ein sicherer Zugang zum Gefäßsystem. Leider bieten kritisch kreislaufdeprimierte Patienten tendenziell keine guten Venenverhältnisse für die Anlage eines periphervenösen Zugangs. Eine Alternative in dieser Situation ist der intraossäre Zugang. Dieser wird z. B. gemäß Reanimationsleitlinie empfohlen, wenn innerhalb von 90 Sekunden kein intravenöser Zugang etabliert werden kann. Es gibt auch Patienten, die konstitutionsbedingt keine gut sichtbaren peripheren Venen aufweisen (z. B. Adipöse, ältere Patienten, Kinder), und möglicherweise möchte man bei diesen Patienten nicht sofort zum intraossären Zugang greifen. Hier kommt die Sonografie ins Spiel.

Sonografisch gesteuerter Gefäßzugang

Für einen Gefäßzugang wird der Linearschallkopf gewählt aufgrund der guten Nahfeldauflösung. Der Fokus sollte möglichst auf eine Tiefe von 2 oder 3 cm gelegt werden, da die zu suchenden Venen ja subkutan verlaufen. Mit dem Schallkopf fährt man nun zunächst quer zum Verlauf der Venen z. B. vom Handrücken bis zum Ellenbogen einer Seite. Die Venen stellen sich als kleine echoarme, kreisförmige Strukturen dar. Mit dem Farbdoppler ist auszuschließen, dass es sich um eine Arterie handelt (gerade in der Ellenbeuge besteht Verwechslungsgefahr mit der A. brachialis!).

Tab. 28 ˘ Sonografische Unterscheidung Vene vs. Arterie

Vene Arterie

•dünne Wand

•Doppelschlag

•im Doppler laminarer Fluss

•leicht komprimierbar

•dickere Wand

•einfacher Puls

•im Doppler Pulsation

•Komprimierung erfordert mehr Druck

Wichtig ist, nicht zu viel Druck mit dem Schallkopf auf die Haut auszuüben, da die dünnwandigen Venen dabei schnell zusammengepresst und unsichtbar werden.

Hat man ein gutes Gefäß gefunden, lässt sich dieses auch unter sonografischer Kontrolle punktieren. Hierfür gibt es zwei Möglichkeiten: die Längs- und die Quervariante.

Bei der Längsvariante stellt man mit dem Schallkopf die Vene im Längsschnitt dar – sie ist dann als echofreier Schlauch in der Bildmitte zu sehen. Sinnvoll ist es, den Schallkopf mit der nicht-dominanten Hand zu halten, während die dominante Hand den peripheren Venenkatheter (PVK) führt. Die Haut wird mit der Venenverweilkanüle nun möglichst genau in der Ebene des Ultraschallbildes direkt benachbart zum Schallkopf durchstoßen.

101 7 ˘ Weitere Einsatzmöglichkeiten des präklinischen Ultraschalls
Position 1 Pneumothorax? Position 2 Pneumothorax? Position 3 Perikarderguss/-tamp.? Position 4 Hämatothorax? Position 5 FAF? Position 6 Hämatothorax? Position 7 FAF? Position 8 FAF? Kompendium eFAST-Sonografie 5 4 8 8 3 6 7 1 2 1 4 5 8L 8Q 2 6 7 3 T aschenkarte für Ihren Einsatz Hier finden Sie die wichtigsten Schallpositionen und Abläufe für die Notfallsonografie auf einen Blick. Trennen Sie die Umschlagklappe einfach ab und legen Sie die doppelseitige Taschenkarte direkt zu ihrem Sonografiegerät oder in Ihre Einsatzmappe.

Ursprünglich entwickelt für die rasche Beurteilung des Patienten im Schockraum oder in der Notaufnahme, findet die fokus sierte Sonografie vermehrt Anwendung in der Präklinik. Da aber nicht jeder Notarzt täglich mit der Sonografie umgeht, das Rettungsfachpersonal schon gar nicht, ist dieses Ultraschallhandbuch speziell auf die Bedürfnisse der präklinischen Nutzer abge stimmt. Es vermittelt Chancen und Gren zen des zielgerichteten Ultraschalls im ret tungsdienstlichen Einsatz.

Von den physikalischen Grundlagen aus gehend werden zunächst die Indikationen und die Anwendung von mobilen Ultra schallgeräten dargestellt. Sodann werden

die sonografischen Normalbefunde und die pathologischen Zeichen an zahlreichen Sonografien vermittelt. Im Mittelpunkt steht die Diagnose reversibler Ursachen für ABC-Probleme im Notfallereignis wie Pneumothorax, abdominelle Blutung oder Perikarderguss. Die zugehörigen Schallkopf positionen und Untersuchungskonzepte werden Schritt für Schritt vorgestellt.

Auf ergänzende Einsatzmöglichkeiten im Rettungsdienst und aktuelle Studien wird eingegangen und schließlich auf Fortbil dungskurse zur Sonografie hingewiesen. Kriterien für die Auswahl geeigneter Ultra schallgeräte werden rettungsdienstbezo gen bewertet.

Notfallsonografie

Ultraschalldiagnostik im Rettungsdienst

Gregor Naths
ISBN 978-3-96461-053-9 www.skverlag.de

Turn static files into dynamic content formats.

Create a flipbook
Issuu converts static files into: digital portfolios, online yearbooks, online catalogs, digital photo albums and more. Sign up and create your flipbook.