УДК 57(075.3)
С54
Підручник розроблено
Соболь В. І.
ISBN 978-617-8497-02-6
Біологія : підручник для 8 класу закладів загальної середньої освіти/ Валерій Соболь. — Кам’янець-Подільський : Видавництво Абетка, 2025. — 280 с. : іл. ISBN 978-617-8497-02-6. © Соболь В. І., 2025 © Видавництво Абетка, 2025
Організм людини — це не
біологічна система із клітин, тканин, органів і систем органів. Це набагато й набагато більше. Кожна людина — дивовижний мікросвіт, захопливе поєднання біологічного й соціального, неповторність, якої не було, немає в цей час і не буде в майбутньому.
Підручник пропонує не лише нові знання, а й допоможе розвинути власні способи діяльності, сформувати уподобання та ставлення для того, щоб реалізувати найпрекрасніші якості Homo sapiens — потребу пізнавати і творити. А для цього потрібно пізнати самих себе. «Пізнай себе, і ти пізнаєш світ», — говорили древні. Це допоможе зрозуміти власну індивідуальність та неповторність, відкрити можливості досягнення успіху та здобути повагу інших людей. Навчальний матеріал підручника структуровано за розділами, темами і параграфами. Кожна тема має шість параграфів і передбачає діяльність упродовж 6 навчальних годин. Матеріал параграфа починає цитата, афоризм, віршований рядок або вислів когось із видатних науковців, філософів, митців, цікавих людей про природу, її красу та значення для людини. Далі рубрики «Цікаво», «Закарбовуємо», «Думаємо разом», «Новини науки», «Усвідомлюємо» тощо, які містять ілюстративні завдання, увідні вправи, класичні експерименти для зацікавлення та мотивації. ЗМІСТ. У змісті параграфа зазвичай три розділи, кожний з яких починається запитанням. Велику увагу звернуто на ілюстративний апарат, який містить малюнки, рисунки, світлини, таблиці, схеми, що допоможе запам’ятати й усвідомити інформацію. Розділ містить також інтегративні завдання «Дитячі запитання», «Смішна біологія», «Слава ЗСУ», «Мандрівна географія», «Біологія + Фізика» тощо. Найважливіше у змісті кожного параграфа виділено під заголовком «Коротко про головне». ДІЯЛЬНІСТЬ. Навчальна діяльність упродовж кожної теми організовується кількома етапами згідно з послідовністю процесів пізнання: перший етап «Запам’ятовуємо»; другий — «Усвідомлюємо»; третій — «Застосовуємо»; четвертий — «Аналізуємо»; п’ятий — «Оцінюємо»; шостий
РЕЗУЛЬТАТ.
навчальній програмі в розділах «Знання», «Уміння», «Ставлення», згруповано в підручнику до кожного параграфа. Це уможливлює організацію формувального та підсумкового оцінювання (електронний додаток «Результат»).
САМОРОЗВИТОК . На початку теми в рубриці «Самоорганізація» подається перелік проєктних завдань для підготовки упродовж теми та репрезентування після її завершення. У розділі «Самонавчання»
підібрано особистісні, регулятивні, пізнавальні, комунікативні та ціннісно-емоційні завдання — по одному для кожного уроку. А в рубриці «Самооцінювання» зібрано завдання для формувального (на розпізнавання, репродуктивні, продуктивно-конструктивні, продуктивно-творчі) та підсумкового (тематично-діагностувальні завдання) самооцінювання. Для самоконтролю знань пропонуються нові й цікаві для учнів / учениць види тестів: тести-конструювання, тести-співвіднесення, тести-застосування, тести-узагальнення тощо (електронний додаток «Саморозвиток»). Велику увагу у підручнику звернуто на формування природничонаукової грамотності, яка стосується знань про науку, видатних науковців та наукові технології, умінь і навичок, пов’язаних із науковими завданнями, ціннісного ставлення до
наукових підходів та природничих проблем. Так, на початку кожного параграфа наведена цитата відомих науковців, актуалізація опорних знань часто пов’язана із важливими науковими відкриттями, після змісту параграфів для ознайомлення пропонується інформація про видатних жінок-науковиць.
Підручник створювався з
продуктивного навчання. У зв’язку із цим головною стала вимога щодо спрямованості учнів / учениць на діяльність, за якої засвоєні знання стають засобом розвитку вмінь та навичок для того, щоб формувати особистісне ставлення до навколишнього. Учні / учениці за допомогою вчителя / вчительки, у співпраці з іншими та самостійними зусиллями організовують навчальну діяльність за особистісною освітньою траєкторією, формують власні способи діяльності та створюють особистісні освітні продукти. Сподіваємося, що підручник
та сформувати багатий арсенал діяльнісних можливостей для пізнання нового, красивого, корисного й повчального.
Успіхів у навчанні та нових власних інтелектуальних відкриттів!
Живе лиш той, хто не живе для себе, хто для других виборює життя. Василь Симоненко (1935–1963) — український поет і журналіст, шістдесятник
Міркуємо! «Ми живемо у світі, у
більше про внутрішнє
середовища існування. Біологія + Українська література Що таке біологічна індивідуальність? Чому в
кожної людини своя неповторна усмішка, почуття, відтінок забарвлення очей, своє «Я»?
Які рівні організації організму людини?
Упорядкованість як найзагальніша властивість живого має особливості, притаманні кожному з рівнів організації нашого організму.
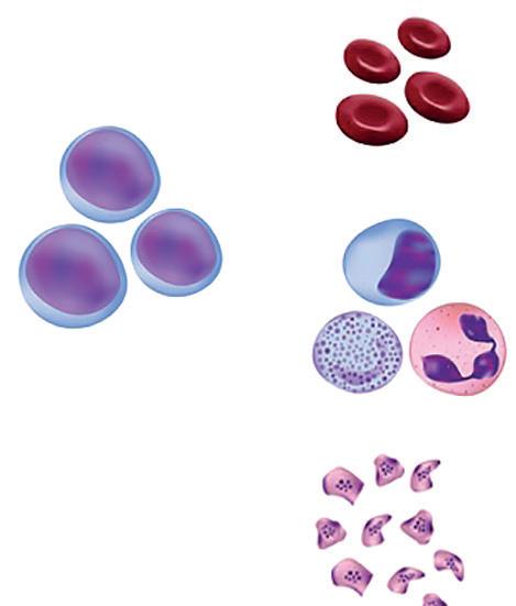
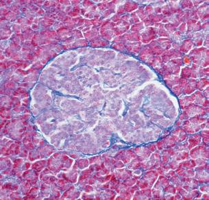
Молекулярний рівень. Складниками цього рівня є хімічні елементи та речовини, що беруть участь у біофізичних процесах і біохімічних реакціях. Клітинний рівень. Основними частинами клітин людини, як і рослин, тварин та грибів, є поверхневий апарат, цитоплазма і ядро. Саме на цьому рівні виявляються властивості життя, тому клітина є основною одиницею будови й життєдіяльності організму. Тканинний рівень формують клітини, які поєднуються в групи для виконання певних життєвих функцій. Тканина сукупність клітин і міжклітинної речовини, єдиних за походженням, особливостями будови та функціями. В організмі людини розрізняють 4 типи тканин — епітеліальні, сполучні, м’язові та нервова. Органний рівень організації визначається упорядкованістю тканинної будови, основної та додаткових функцій. В утворенні органа зазвичай беруть участь тканини всіх чотирьох типів. Функціональна тканина органа, що виконує основну функцію органа, є його паренхімою, а сполучна тканина, що виконує додаткові функції, формує строму. Наприклад, паренхіму слинних залоз складає залозистий епітелій, а строму — волокниста сполучна тканина, у якій проходять судини, нерви. Системний рівень формують спеціалізовані фізіологічні системи організму. Фізіологічна система сукупність органів, анатомічно поєднаних між собою для здійснення фізіологічної функції. В організмі людини виділяють опорно-рухову, серцево-судинну, дихальну, травну, покривну, сечостатеву, статеву, систему ендокринних органів, нервову, імунну, сенсорні системи. Органи різних фізіологічних систем тимчасово

Ти знаєш, що ти — людина? Ти знаєш про це чи ні? Усмішка твоя — єдина, Мука твоя — єдина, Очі твої — одні. Василь Симоненко pulmones соr gaster hepar
90 міститься в організмі людини. Їх поділяють на групи: органогени (Оксиген, Гідроген, Карбон, Нітроген), макроелементи (Кальцій, Калій, Натрій, Ферум, Магній, Фосфор, Сульфур, Хлор) та мікроелементи (наприклад, Кобальт, Купрум, Цинк, Йод, Флуор та ін). Найбільший вміст серед неорганічних сполук припадає на воду (бл. 60 %) та мінеральні солі. Основними класами органічних речовин в організмі є вуглеводи, жири, білки, нуклеїнові кислоти.
БІОЛОГІЯ + Хімія До якого класу неорганічних речовин належить СаСО3, що є основним компонентом хімічного складу кісток?
Коротко про головне
ОРГАНІЗМ ЛЮДИНИ — це цілісна відкрита біологічна система, якій властиві рівневість, саморегуляція, самовідтворення та самооновлення.
Організм людини — упорядкована рівнева
молекулярний, клітинний, тканинний, органний та системний рівні організації.
Основні хімічні складники організму людини
(вода,
солі) та органічні (вуглеводи, ліпіди, білки, жири, нуклеїнові кислоти) речовини.
Діяльність
Рівень «ЗАПАМ’ЯТОВУЄМО» Навчальне завдання. Що спільного має організм людини з іншими організмами? Опорна схема. ОРГАНІЗМ ЛЮДИНИ.
Розвивальне завдання. У чому полягає складність організму людини? Дослідницька вправа. Антропометричні дослідження організмів.
Ціннісне завдання. Чи потрібне розуміння біологічної індивідуальності для формування уявлень про власну особистісну цінність? Вправа для визначення. Що таке «гідність людини»
Функція будує орган. Ж.-Б. Ламарк (1744–1829) — французький природодослідник
§ 1.2. СТРУКТУРНА
Усвідомлюємо! Барбара Мак-Клінток (1902–1992) — американська науковиця, лауреатка Нобелівської премії з фізіології та медицини «за відкриття мобільних генетичних елементів» писала: «Немає двох абсолютно однакових рослин. Усі вони різні, і тому ви повинні вивчити цю різницю». А чи є дві абсолютно однакові людини?
ЗМІСТ Чому клітина є основною
та функціональною одиницею організму людини?
Клітина є структурною одиницею організму людини, тому що саме з клітин побудоване тіло, і функціональною одиницею тому, що забезпечує виконання життєвих функцій організму.
Клітини організму побудовані із компо-
нентів, кожний з яких має своє призначення. Взаємодію з навколишнім середовищем забезпечує клітинна мембрана. Внутрішній простір клітини заповнений цитоплазмою, що містить органели — сталі структури клітини з певними функціями. Так, мітохондрії здійснюють окиснення речовин і синтез АТФ, лізосоми — роз-
щеплення складних поживних сполук. Основною функцією ендоплазматичної сітки (ЕПС) є транспортування речовин усередині клітини. У синтезі білків беруть участь рибосоми. Перетворення речовин на гормони, ферменти та інші функціональні сполуки відбувається в апараті Гольджі. Клітинний центр бере участь у поділі клітин. Ядро є найважливішою частиною клітини, у якій зосереджена генетична інформація всього організму. Процеси, що здійснюються клітинами,
міжклітинної речовини. За особливостями будови, функцій та місцезнаходження розрізняють два основних види епітелію: покривний (одношаровий (плоский, кубічний, призматичний, війчастий) і багатошаровий (зроговілий, незроговілий, перехідний) та залозистий. Сполучні тканини складаються з різних за формою клітин та розвиненої міжклітинної речовини. Вони утворюють кістки, хрящі, входять до складу внутрішніх органів та з’єднують їх між собою. Тканини характеризуються розташуванням усередині організму, виконанням опорно-трофічних та захисних функцій. Сполучні тканини (у розширеному змісті поняття) об’єднують тканини внутрішнього середовища (кров, лімфа) та власне сполучні тканини зі спеціальними властивостями (жирова (біла, бура), ретикулярна, пігментна, слизова), скелетні сполучні (кісткова, хрящова). Їм належить виняткова роль у відновлювальних процесах завдяки найвищій здатності до регенерації.
М’язові тканини побудовані з видовжених м’язових клітин та волокон зі скоротливими органелами — міофібрилами. Розрізняють непосмуговану й посмуговану м’язові тканини. Непосмугована (гладка) м’язова тканина утворює стінки судин, внутрішніх органів, забезпечує рухи кишки, сечовиділення та ін. Посмугована м’язова тканина поділяється на скелетну та серцеву. Скелетна посмугована тканина утворює скелетні м’язи, діафрагму, язик, а серцева посмугована м’язова тканина складає основу серцевого м’яза (міокарда).
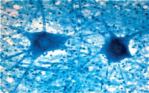
Нервова тканина складається із нейронів та клітин, що їх оточують і утворюють нейроглію. Нервова тканина формує нерви, нервові вузли, головний та спинний мозок. Вона забезпечує сприйняття подразнень, їх перетворення в імпульси, аналіз інформації та формування рефлексів — реакцій на впливи
формуються процеси збудження й гальмування. Ці електричні процеси здійснюють нервову регуляцію функцій організму людини. Біологія + Законодавство «Усі люди є вільні й рівні у своїй гідності та правах» (Конституція України, стаття 21). Яке біологічне підґрунтя цього фундаментального права людини?
Яка основна причина різноманітності
людини розташовуються ззовні (наприклад, ніс, вуха,
регуляторних.
Біологія + Філософія Один із відомих французьких філософів-просвітителів Дені Дідро (1713–1784)
стверджував: «Кожний орган людини має своє власне задоволення і страждання, свої антипатії й симпатії, свої ліки і свої хвороби, свої рухи та своє живлення, своє народження і свій розвиток». Застосовую свої
знання та пояснюю вислів.
Коротко про головне
Клітина — це основна структурна й функціональна одиниця організму, яка будує тіло людини та визначає процеси життєдіяльності організму.
Тканина — сукупність клітин
функцій.
Діяльність
Рівень «УСВІДОМЛЮЄМО» Навчальне завдання. Які особливості будови організму
Опис із використанням схеми «Ієрархія». СТРУКТУРНА ОРГАНІЗАЦІЯ організму людини.
Розвивальне завдання. Чим відрізняються різні клітини організму людини? Практична вправа. Дослідження різноманітності клітин організму людини.
Ціннісне завдання. Кожна людина є особливою, винятковою та надзвичайною, як і мільйони зірок на небі. Чи достовірним є це твердження стосовно будови різних людей? Вправа для сприймання. Різноманітність органів людини.
Результат
• описує:
•
Очікувані результати навчання (Учень / учениця...)
I have always been much better at asking questions than knowing what the answers were.
Кнут Шмідт-Нієльсон (1915–2007) — норвезький та американський фізіолог
§ 1.3.
Застосовуємо! Як писав Шмідт-Нієльсон у передмові до однієї з книг: «Фізіологія є наукою про їжу й живлення, травлення, дихання, транспортування газів кров’ю, кровообіг і функції серця, виділення та функції нирок, про м’язи і рух тощо... Фізіологія не лише описує різні функції: вона також ставить запитання «чому?» і «як?». Пропоную своє запитання про життєві функції організму людини.
ЗМІСТ
Які основні життєві функції організму людини? Основними фізіологічними функціями (лат. functio — здійснення, виконання), або життєвими функціями, є травлення, дихання, транспортування речовин, виділення, опора, рух, розмноження, регуляція процесів. Ці прояви формують властивості організму — тобто істотні ознаки його будови, життєдіяльності й поведінки, що визначають зв’язки з навколишнім середовищем. Серед найважливіших властивостей організму людини
речовин та
енергії, гомеостаз, подразливість, розвиток, ріст, адаптивність. Суть цих властивостей ви вивчатимете у наступних параграфах.
Будь-яка з фізіологічних функцій та властивостей є результатом діяльності клітин, тканин, органів та фізіологічних систем. Так, функцію транспортування речовин в організмі людини здійснює кровоносна система, яка має органи — серце та кровоносні судини. Життєві функції організму починають організовуватися
рівні, тому клітина є не лише елементарною структурною, а й функціональною одиницею. У складних організмів
життєвої функції клітини об’єднуються в групи — функціональні елементи. Наприклад, структурним та функціональним елементом нирок є нефрони, залоз секреції чи легень — ацинуси. Ось така ієрархічно вибудувана організація клітин, тканин, органів та систем
називається
груп: механічні (відбуваються під впливом фізичних сил і виявляються в таких формах, як рух, деформація, коливання тощо; прикладами є рух цитоплазми в клітинах, скорочення м’язових волокон, рухи тіла), електричні (виникають під час появи та взаємодії електричних зарядів), оптичні (спричинені поширенням, заломленням та відбиттям світла), теплові (відбуваються при нагріванні й охолодженні тіла), звукові (пов’язані з поширенням звукових коливань).
Фізіологічні процеси (лат. processus — проходження) є проявами життєдіяльності організму, спрямованими на забезпечення його життєвих функцій, цілісності та адаптивності. Кожний такий процес — це складна сукупність хімічних і фізичних змін. Наприклад, дихання людини відбувається завдяки дифузії, розчиненню, конвекції дихальних газів, що є фізичними процесами, та хімічним реакціям гідролізу, окиснення поживних речовин.
Біологія + Фізика Початок вивчення біоелектричних явищ і заснування електрофізіології пов’язані з ім’ям італійського вченого Луїджі Гальвані (1737–1798). Цікаво, чи є електричні явища в організмі людини?
Які методи дослідження будови та життєдіяльності організму?
Для вивчення організму людини застосовуються різні методи. Серед загальнобіологічних найпоширенішими є спостереження і дослідження.
Для дослідження організму, окремих його органів, тканин і клітин використовуються спеціальні методи різних біологічних галузей: світлова та електронна мікроскопія (дослідження клітин за допомогою мікроскопів),
дослідження електричної
електроміографії (метод дослідження електричної активності м’язів), електрогастрографії (метод дослідження електричної активності шлунка), електроокулографії (метод дослідження електричної активності ока) та ін. Сучасними методами дослідження є метод ядерного магнітного резонансу (ЯМР), позитрон-емісійна томографія (ПЕТ), сканувальна електронна мікроскопія (СЕМ), трансмісійна електронна мікроскопія (ТЕМ) та ін. Біосоціальна природа людини уможливлює застосування соціологічних (анкетування) і психологічних (психодіагностичні методики) методів. Коротко про головне
ЖИТТЄДІЯЛЬНІСТЬ
медичних та
методів. Діяльність
Рівень «ЗАСТОСОВУЄМО»
Навчальне завдання. Чим відрізняються життєві функції організму людини? Пояснення з використанням схеми «Функціонування». ЖИТТЄДІЯЛЬНІСТЬ організму.
Розвивальне завдання. Чи існує взаємозв’язок між функціями та будовою тканин? ЛАБОРАТОРНА РОБОТА 1. Дослідження будови тканин у взаємозв’язку з функціями.
Ціннісне завдання. Чим і чому відрізняються процеси життєдіяльності різних людей? Вправа для реагування. Зовнішні та внутрішні причини різної частоти пульсу в людей. Результат
теплоутворення, електричні явища в тканинах, дію отрут на організм тощо. Вивчивши роль рідин в організмі, дійшов висновку, що сталість внутрішнього середовища є необхідною умовою життєдіяльності. Цікаво, які рідини досліджував науковець?
ЗМІСТ Чому внутрішнє середовище є рідким?
Внутрішнє середовище організму людини утворюють кров, тканинна рідина і лімфа. Вони між собою тісно взаємопов’язані. Наприклад, кисень транспортується
кров’ю до тканин, з крові шляхом дифузії надходить у тканинну рідину, з якої за участю процесів мембранного транспортування потрапляє в клітини. Для запобігання надлишку тканинна рідина постійно дренажує в лімфатичні капіляри, де з неї формується лімфа. Внутрішнє середовище є рідким,
оскільки життєдіяльність клітин може
відбуватися лише в рідкому оточенні. По-перше, обмін речовин між клітинами та міжклітинним простором відбувається
шляхом дифузії, для якої необхідна рідина. По-друге, у рідкому середовищі немає різких температурних перепадів, що є важливим для здійснення хімічних реакцій у клітинах. І по-третє, текучість рідин забезпечує транспортування речовин та регуляцію транспортних процесів. Досить
ний тиск, рівень рН, уміст солей тощо) коливаються в дуже вузькому діапазоні. Завдяки цьому
найрізноманітніших умовах навколишнього середовища. Таким чином, основною властивістю внутрішнього середовища є гомеостаз. Уперше гомеостаз в організмі як постійність біологічних рідин розглянув К. Бернар у середині XIX ст. Але термін «гомеостаз» запропонував американський фізіолог У. Кеннон (1871–1945) у своїй книзі «The Wisdom of the Body» («Мудрість тіла»). Сама назва вказує на характер і значення цієї властивості для організму людини. Прикладами гомеостичних механізмів в організмі людини є регуляція температури тіла, регуляція рівня глюкози в крові тощо. Здійснюється гомеостаз за принципом зворотного зв’язку між рецепторами, що сприймають впливи середовища, та центральними осередками регуляторних систем. Наприклад, терморецептори шкіри в умовах жаркого приміщення подають інформацію до гіпоталамуса, де розташований центр терморегуляції. Після аналізу інформації подається команда до виконавчих органів, що здійснюють потовиділення, віддачу тепла, змінюють поведінку тощо.
Біологія + Етика «Усі люди народжуються вільними й рівними у своїй гідності та правах» (Загальна Декларація прав людини, стаття 1). Чи існує зв’язок між внутрішнім середовищем та правом людини на гідність?
механізмами саморегуляції, які «вмикаються» тоді, коли виникають відхилення від постійного рівня впливу важливих чинників середовища. Ці механізми діють на
ний характер і забезпечують
середовища. Наприклад, рівень глюкози
може зменшуватися через недостатнє надходження її з їжею або внаслідок витрат
інтенсивній роботі. Зниження
для життєдіяльності та пристосованості організму. В організмі людини існують різноманітні зовнішні та внутрішні механізми підтримання гомеостазу.
Діяльність Рівень «АНАЛІЗУЄМО» Навчальне завдання. Що забезпечує цілісність
та
тєдіяльності організму людини? Самостійне перетворення знань з використанням інтелект-карти. ВНУТРІШНЄ СЕРЕДОВИЩЕ ОРГАНІЗМУ.
Розвивальне завдання. Чи однаковий склад внутрішнього середовища різних організмів? Яку інформацію про склад внутрішнього середовища дає лабораторний аналіз крові? Дослідницька вправа. Склад внутрішнього середовища та лабораторний аналіз крові.
Ціннісне завдання. Як підтримується сталість внутрішнього середовища організму людини? Вправа для переконаності. Механізм зворотного зв’язку та підтримання рівня глюкози в крові. Результат
Очікувані результати навчання (Учень / учениця...)
• аналізує знання: про ВНУТРІШНЄ СЕРЕДОВИЩЕ організму
• аналізує результати: ДОСЛІДЖЕННЯ
рішнього середовища
• виявляє ставлення на рівні переконаності
логічне підґрунтя права на ГІДНІСТЬ ЛЮДИНИ Саморозвиток
Самонавчання. Пізнавальне завдання. Правило-орієнтир «Анкетування».
Самооцінювання. Продуктивно-конструктивне завдання. Внутрішнє середовище організму.
Біологія + Видатні жінки-науковиці + Англійська мова Знайомтесь: Рита Леві-Монтальчині (1909–2012) італійська нейробіологиня, лауреатка Нобелівської премії з фізіології та медицини (1986) «за відкриття факторів росту клітин». «Люди, які використовують свій розум, зустрічаються рідко. Мало хто використовує своє серце. І унікальні ті, хто використовує і те, й інше. (Rare are those people who use the mind, few use the heart and really unique are those who use both.)», зауважувала науковиця.
§ 1.5. АДАПТАЦІЯ
Метикуємо! Зоологи називають єнотів «геніями адаптації». І недаремно. Ця тварина має цілий ряд дивних й цікавих пристосувань. Ідеться про ракуна звичайного, або єнота-полоскуна (Procyon lotor). Назва «полоскун» пов’язана із цікавою біологічною особливістю звіра, який часто «полоще» свою їжу у воді. Цікаво, це морфо-анатомічна, фізіологічна чи етологічна адаптація?
ЗМІСТ
Які є природні та соціальні чинники адаптації людини?
Адаптація (від лат. adaptatio — пристосування) в біології — загальна властивість усіх біосистем до формування та розвитку ознак відповідно до зміни умов навколишнього середовища. Людина є істотою біосоціальною, тому адаптогенні чинники поділяють
природні та соціальні. Природні чинники адаптації (світло, температура, атмосферний тиск, гравітація, склад повітря, поживні речовини тощо) завжди діють комплексно. У процесі еволюції людський організм адаптувався до впливу багатьох чинників, природної зміни сезонів року, для кожного з яких характерні певний температурний, світловий режим, вологість повітря, радіаційні коливання. Крім сезонних змін, людський організм адаптований до змін дня і ночі, до внутрішніх фізіологічних біоритмів. Соціальні чинники адаптації людини пов’язані з її трудовою діяльністю, умовами життя в суспільстві. Кількість і спрямування цих умов розвиваються пропорційно до розвитку цивілізації. Наприклад, із розгортанням космічних досліджень людині довелося пристосовуватися до стану невагомості, який спричинює гіподинамію (порушення функцій організму, передусім опорно-рухового апарату, кровообігу, дихання, травлення, пов’язані з обмеженням рухової активності, зниженням сили скорочення м’язів), зміни добових біоритмів тощо.
Біологія + Екологія Гірська хвороба захворювання, пов’язане з кисневим голодуванням тканин. Що є основним природнім чинником хвороби,
нові умови існування, адаптація до умов високогір’я тощо. Виявляються біологічні адаптації у зміні будови, функцій та поведінки організму відповідно до змін умов середовища. Тому розрізняють структурні (морфологічні), фізіологічні та етологічні адаптації організмів. Структурні адаптації — це ознаки будови та форми тіла організму, що пов’язані із впливом природних чинників та способом життя. Такими адаптаціями в людини є пристосування прямоходіння (широкий таз, масивні нижні кінцівки, вигини хребта тощо). Фізіологічні адаптації — це пристосування процесів життєдіяльності до впливу чинників середовища. Наприклад, потовиділення, розширення чи звуження судин для терморегуляції. Етологічні адаптації — це видозміни поведінкових реакцій організму у відповідь на зміни в навколишньому середовищі. Наприклад, прояви поведінки на основі реакцій
сування людини до умов соціального середовища. Основним способом соціальної адаптації є прийняття цінностей соціального середовища, форм соціальної взаємодії, способів предметної діяльності. Соціальна діяльність — провідний механізм адаптації людини. Її найважливішими складниками є спілкування, гра, навчання, праця. Система соціальної адаптації включає такі її різновиди: економічну, психологічну, професійну тощо. Які є рівні та механізми біологічної адаптації
Адаптація організму людини реалізовується на кожному з рівнів організації. Клітинними адаптаціями є, наприклад, збільшення кількості мітохондрій в умовах нестачі кисню. Основними механізмами адаптації на рівні організму людини є:
1) біохімічний (зміна активності ферментів, синтез меланіну);
2) фізіологічний (прискорення серцебиття на нестачу кисню, звуження судин на пониження температури);
3) морфо-анатомічний (зміни форми м’язів, структури кісток у разі тренувань);
4) поведінковий (пошук захисного притулку під час грози, тамування дихальних рухів під час пірнання);
5) онтогенетичний
му, клітинному, тканинному, рівні органів та фізіологічних систем, організмовому. Діяльність Рівень «ОЦІНЮЄМО»
Навчальне завдання. Які особливості адаптації людини? Оці-
нювання знань з використанням інтелект-карти. АДАПТАЦІЯ ЛЮДИНИ.
Розвивальне завдання. Чи існує зв’язок між станом здоров’я та адаптаційними можливостями організму людини? Практична вправа. Оцінювання адаптаційного потенціалу (методика Р. М. Баєвського).
Ціннісне завдання. «Коли немає здоров’я мудрість мовчить, мистецтво не народжується, сила спить, багатство не потрібне і розум безсилий». Чи існує
названими суспільними цінностями та біологічною здатністю до адаптації?
сті.
•
• оцінює результати: ДОСЛІДЖЕННЯ про зв’язок між станом здоров’я та адаптаційними можливостями
• виявляє ставлення
ЛЮДИНИ
Саморозвиток
на формування такої цінності, як ГІДНІСТЬ
Самонавчання. Ціннісно-емоційне завдання. Дослідження адаптації до шкільного життя (проєктивна методика «Дерево» (Джон і Дайан Лампен).
Самооцінювання. Продуктивно-творче завдання. Адаптація людини. Біологія + Видатні жінки-науковиці + Англійська мова Знайомтеся: Гертруда Белл Елайон (1918–1999) американська науковиця,
(1988)
be afraid of hard work. Nothing worthwhile comes easily)».
Дивних багато у світі див, Найдивніше із них людина.
Софокл (496–406 до н. е.) — давньогрецький драматург
Вступна вправа. На світі так багато різних природних див
мальовничі озера, глибокі каньйони, фантастичні водоспади, неймовірні печери. Є серед світових дивовиж й такі, що створені руками людини. Це сім чудес стародавнього світу: Александрійський маяк на острові Фарос (Е), висячі сади Семіраміди у Вавилоні (С), піраміда Хеопса в Гізі (В), статуя Бога Геліоса на острові Родос (Р), статуя
в Олімпії (И1), усипальниця царя Мавсола
(И2), храм Артеміди
Ефесі (Н). Увідповідніть назви цих чудес (літери в дужках) із їх зображеннями на ілюстрації (1–7) та отримайте назву одного з
України. Чому Софокл назвав людину «найдивнішим дивом світу»?
ЗМІСТ
Як і для чого вивчають організм людини?
БІОЛОГІЯ ЛЮДИНИ комплекс наук, що вивчають будову, життєдіяльність, поведінку, походження, розвиток з метою застосування знань у різних галузях людської діяльності. Для вивчення організму людини використовуються знання багатьох наук. Це, насамперед, природничі (хімія, фізика, географія), біологічні (антропологія, ембріологія, генетика), суспільні (філософія, історія), медичні (кардіологія, неврологія), технічні (кібернетика, інформатика) науки. Фундаментом для біології людини є найдавніші науки про наш організм — анатомія та фізіологія. Анатомія вивчає будову організму людини, а фізіологія — його життєві функції. Знання організму людини застосовуються в найрізноманітніших галузях людської діяльності (див. табл.). Основи сучасної біології людини були закладені такими видатними науковцями, як Гіппократ, Авіценна, Парацельс, А. Везалій, В. Гарвей, І. Павлов, К. Бернар та багато інших. Значний внесок у розвиток біології
інфекції),
Сільське господарство
Для вирощування рослин, розведення тварин, боротьби зі шкідниками, запобігання отруєнню пестицидами Промисловість
Для отримання харчових продуктів, натуральних тканин, антибіотиків
Медицина Для лікування і профілактики хвороб, збереження та зміцнення
здоров’я людини, продовження тривалості життя
Психологія Для пізнання особливостей поведінки людини Техніка Для створення пристроїв, апаратів у хірургії, протезуванні, кібернетиці Мистецтво Для створення художніх картин, скульптур Спорт Для розвитку фізичних можливостей людського організму
Біологія + Фізика Цікаво, що рентгенівське випромінювання називають ще пулюївським на честь українського фізика Івана Пулюя (1845–1918), який уперше застосував і дослідив їх ще в 1892 році. Які особливості природи людини?
Усі живі істоти Землі унікальні й неповторні, але унікальність людини особлива. Поза сумнівами, що кожна людина неповторна з огляду на її біологічні ознаки будови організму (статура тіла, маса, зріст), його процесів життєдіяльності (особливості травлення, тип дихання) та поведінки (тип темпераменту, реакції на стрес «бий або втікай»).
Безперечним є й те, що людина — істота соціальна, і її унікальність зумовлена й також соціальним середовищем життя. Будь-який прояв життєдіяльності організму людини супроводжується соціальним. Так, живлення людини через вплив традицій, етикету, рекомендацій називають харчуванням, біологічні інстинкти розмноження пов’язані з вищими емоційними почуттями дружби, кохання. Саме нерозривна генетична єдність біологічних та соціальних особливостей є основною умовою існування людини, визначає її біосоціальну природу та відмінності від інших організмів.
Біологія + Мистецтво «Вітрувіанська людина» — відомий малюнок Леонардо да Вінчі (1490 рік), яскравої геніальної особистості з багатьма талантами. Цікаво, людина
ної життєдіяльності
пристосувальні можливості. Їх
ми: за причинами виникнення — інфекційні (вірусні, бактеріальні) та неінфекційні, за фізіологічними функціями — хвороби дихання, кровообігу, травлення тощо, за ознаками статі та віку — жіночі, дитячі хвороби, хвороби старості та ін. Основними причинами хвороб людини є гіпокінезія, стреси, шкідливі звички, неправильне харчування, відсутність режиму праці й відпочинку, стан довкілля, вплив хвороботворних організмів та ін. Виникнення хвороб викликають різні чинники, але у 50 % випадків поява хвороби пов’язана зі способом життя самої людини. Тому кожен із нас повинен знати свій організм і
ті організму людини? Моделювання змісту теми. ОРГАНІЗМ ЛЮДИНИ.
Розвивальне завдання. Для яких галузей практичної
людини наукові дослідження організму
ше значення? Інфографіка. Галузі застосування наукових досліджень організму людини.
Ціннісне завдання. Яке значення
ципів сталого
22 Хвороба, захворювання (лат. morbus) — це
Бути живим це означає бути організованим. В. Вернадський (1863–1945) — видатний український науковець § 2.1.
Одразу і не відповіси! Організм людини — це дуже складна система. У ньому мільярди клітин, мільйони структурних одиниць, тисячі органів, сотні функціональних систем, десятки фізіологічних систем. Завдяки чому ця вся різноманітність
функціонує як єдине ціле?
ЗМІСТ
Які рівні саморегуляції в організмі людини?


Уся життєдіяльність організму людини пов’язана з трьома найзагальнішими властивостями — саморегуляцією, самооновленням та самовідтворенням. І лідером у цій тріаді є саморегуляція. У процесі взаємодії із середовищем організм людини пристосовує свою життєдіяльність до мінливих умов зовнішнього середовища, зберігає постійність внутрішнього середовища, захищає свою цілісність, об’єднує всі процеси для забезпечення життєдіяльності завдяки САМОРЕГУЛЯЦІЇ. Відбуваються процеси саморегуляції на всіх рівнях людського організму. На рівні клітин саморегуляція здійснюється з допомогою зміни активності ферментів у реакціях синтезу та розпаду. Власними механізмами саморегуляції володіють окремі органи. Так, серце має провідну систему зі спеціалізованих м’язових волокон, що мають здатність утворювати та проводити імпульси. Діяльність системи забезпечує послідовні скорочення міокарда передсердь та шлуночків (автоматія серця). Шлунково-кишковий тракт має власну ентеринову нервову систему. Це сіткоподібне утворення


Саморегуляція
процесів. Особливість процесів саморегуляції
ли є внутрішніми і виникають в особливих структурних осередках. Наприклад, в еукаріотичних клітинах таким «керівним центром» є ядро, центром регуляції функцій внутрішніх органів є гіпоталамус та ін. За функціональним значенням процеси саморегуляції можна поділити на групи.
Інтегративні процеси забезпечують узгоджене функціонування різних органел у клітинах, об’єднання спеціалізованих клітин у тканини, тканин — в органи та ін. Центром інтеграції життєвих функцій організму називають головний
лянки, що інтегрують інформацію
такі функції, як мислення, мова, пам’ять, емоції тощо. Гомеостатичні процеси підтримують динамічну сталість внутрішнього середовища організму та забезпечують найоптимальніші умови для діяльності клітин, органів. Прикладами таких процесів є термо-, осмо- та волюморегуляція. Завдяки їм температура тіла, вміст
від змін навколишнього середовища. Адаптивні процеси забезпечують
навколишнього середовища
ця нормалізується після короткочасного
нервовій системі, розумова
вуглеводів у їжі. Захисні процеси відрізняються спрямованістю на протидію шкідливим впливам середовища. Головним організатором захисту організму можна назвати імунну систему з її специфічними та неспецифічними проявами діяльності. Наприклад, захист від вірусів відбувається завдяки процесам утворення інтерферонів у клітинах, поглинання та перетравлення хвороботворних бактерій — за участю лейкоцитів, здатних до фагоцитозу.
Біологія
зв’язки
, що зовсім не вказує на хороші чи погані наслідки. Негативний зворотний зв’язок має тенденцію сповільнювати процес, тоді як позитивний — прискорювати його. Механізм зворотного зв’язку є визначальним для роботи регуляторних систем — нервової, ендокринної та імунної.
Біологія + Психологія «Петлі сорому» виникають у людей, які легко червоніють. Коли вони розуміють це, вони ще більше соромляться, що призводить до подальшого червоніння. Про який зв’язок йдеться?
Коротко про головне
САМОРЕГУЛЯЦІЯ
Діяльність
завдання.
біологічних систем? Опорна схема. САМОРЕГУЛЯЦІЯ, рівні організації, функції, принцип зворотного зв’язку.
Розвивальне завдання. Які процеси є основою саморегуляції?
Інформаційно-пошукова вправа. Інтегративні, гомеостатичні, адаптивні, захисні процеси саморегуляції.
Ціннісне завдання. Чому право на життя є природним? Вправа для визначення. У чому зміст категорії «Право на життя»? (Конституція України. Розділ ІІ. Стаття 23). Результат Очікувані результати навчання (Учень / учениця...) •
Good order results spontaneously when things are let alone. Чжуан-цзи (369–286 до н. е.) — китайський філософ
Усвідомлюємо! Вислів «на трьох китах» є одним із відомих фразеологізмів української мови. Ще в середньовічних трактатах із географії землю зображували як плоский таріль, що лежить на спинах трьох велетенських китів, які плавають у
безмежному океані. Вислів «три кити» вживають тоді, коли йдеться про основні засади чого-небудь. На яких трьох китах тримається регуляція функцій організму людини?
ЗМІСТ
Які особливості регуляції функцій організму людини?
Фізіологічними процесами (функціями) називають взаємоузгоджені та координовані процеси за участю біомолекул, клітин, тканин, органів і систем, що забезпечують здійснення життєвих функцій організму. Їх узгодженість — це результат регуляції функцій організму, що є складовою частиною загальної сукупності процесів саморегуляції. На рівні організму регуляція функцій
регуляторними системами — нервовою, ендокринною та імунною. Їх діяльність відрізняється природою та шляхами проведення сигналів, тривалістю впливів, але всі три механізми регуляції діють у тісному взаємозв’язку. Регуляція функцій людського організму має ряд особливостей, що пов’язані з біосоціальною
природою людини, складністю
головного мозку, життям у
суспільстві, різноманітністю
проявів поведінки.
Наші уявлення про регуляцію функцій у людини будуть однобічними, якщо не врахувати розумову діяльність як складову частину набутої поведінки. Саме доцільна поведінка, яка спрямовується свідомістю, є найбільш ефективною формою пристосування та одним із найефективніших механізмів підтримання гомеостазу. Біологія + Подразливість
визначаються їх
У регуляторних системах є центральні та периферійні осередки. У центральних органах формуються керівні команди, а периферійні органи забезпечують розподіл й передачу їх до робочих органів для виконання (принцип централізації). Для здійснення контролю за виконанням команд центральні органи регуляторних систем отримують зворотну інформацію від робочих органів. Цю особливість діяльності біологічних систем називають принципом зворотного зв’язку. Інформація від регуляторних систем по всьому організму передається у вигляді сигналів. Тому клітини таких систем мають здатність продукувати електричні імпульси та хімічні речовини, що будуть кодувати та поширювати інформацію. Регуляторні системи здійснюють регулювання функцій відповідно до змін зовнішнього чи внутрішнього середовища. Тому сигнали, що надсилаються до органів, мають або стимулювальний, або сповільнювальний характер (принцип подвійного впливу).
Такі особливості в організмі людини властиві трьом системам — нервовій, ендокринній
вони є регуляторними системами нашого організму.
Які особливості
тю нервових імпульсів, що передаються нервовими шляхами та мають спрямований короткочасний вплив
регуляція, як і в багатоклітинних тварин, має рефлекторний характер. Її основою є безумовні й умовні рефлекси, інстинкти та динамічні стереотипи, що разом із проявами розумової діяльності забезпечують регуляцію функцій на поведінковому рівні. Ускладнення нервової регуляції в людини пов’язане з розвитком вищих
а саме кори й підкірки головного мозку.
Гуморальна регуляція — це регуляція за допомогою хімічних сполук, що поширюються рідинами внутрішнього середовища для забезпечення тривалого та загального впливу
тканини й органи. Цей механізм регуляції є найдавнішим, тому регуляторні прояви
вий мозок, тимус) і
(лімфовузли, апендикс), здатні реагувати на різні впливи, клітини, що запам’ятовують чужі білки. Органи імунної системи утворюють гормони (наприклад, тимозин), антитіла й клітини (наприклад, лімфоцити), що захищають внутрішнє середовище організму від впливів чужорідних речовин і клітин. Поширення речовин і клітин організмом відбувається за участю крові, лімфи та тканинної рідини. Імунні реакції можуть бути вродженими (стійкість проти захворювань, що проявляється одразу ж після народження) і набутими (стійкість до правця, що набувається після щеплення). Коротко про головне РЕГУЛЯЦІЯ
сукупність
організму, що забезпечують постійність внутрішнього середовища,
Регуляторними системами
Рівень «УСВІДОМЛЮЄМО»
Навчальне завдання.
регуляцію? Опис із використанням фрейму «Три кольори». РЕГУЛЯЦІЯ ФІЗІОЛОГІЧНИХ ФУНКЦІЙ.
Розвивальне завдання. Які загальні принципи організації регуляторних систем? Інформаційно-пошукова вправа. Регуляторні системи організму людини.
Ціннісне завдання. Чи існує взаємозв’язок між різними механізмами координації процесів життєдіяльності? Вправа для сприймання. Як відбувається загоєння рани на руці? Результат Очікувані результати навчання (Учень / учениця...)
• описує: особливості РЕГУЛЯЦІЇ ФІЗІОЛОГІЧНИХ
• формулює очікувані результати:
• виявляє ставлення на рівні сприймання та
Самонавчання. Регулятивне
стеми.
Думу думаємо! Основи електрофізіології закладені в середині XIX століття німецьким фізіологом Емілем Дюбуа-Реймоном (1818–1896), який установив зв’язок між електричним струмом і нервовим імпульсом. Як ви думаєте, у чому полягає дивовижність електричних явищ у
нервовій системі?
ЗМІСТ
Як відбувається нервова регуляція людини?
Інформація із середовища сприймається рецепторами нашого тіла, перетворюється в імпульси й передається нервовими шляхами
до нервових центрів. Центральні відділи цю інформацію аналізують і формують відповідь на подразнення. Команда надходить до робочих органів у вигляді збуджувальних
нервових імпульсів. А сам нервовий імпульс
Виникнення і поширення
імпульсів є
складним електричним явищем, у якому беруть участь катіони й аніони клітинних мембран і цитоплазми. Швидкість поширення нервових імпульсів у різних нейронах коливається від 0,5 м/с до 120 м/с, тому ми реагуємо на різні подразники майже миттєво. Процес збудження тісно пов’язаний з гальмуванням. Гальмування активний нервовий процес, який призводить до зменшення чи припинення збудження в певній ділянці нервової тканини. На відміну від збудження, процес гальмування відбувається усередині або між клітинами
поширюється нервовими шляхами. У стані
Біологія + Фізика У природі є чотири фундаментальних сили: сильна взаємодія, слабка взаємодія, гравітація і …
Яка роль нейронів у нервовій регуляції?
Будова нейронів пристосована для утворення й передачі електричних сигналів. Тіло нейрона має ядро, велику кількість мітохондрій та рибосоми для
забезпечення інтенсивного обміну речовин. Від тіла відходять короткі відростки — дендрити, що сприймають
нервові імпульси від інших клітин. А
довгий відросток — аксон — проводить
нервові імпульси від тіла нейрона до інших клітин. Довгі відростки можуть
бути вкриті мієліновою оболонкою, яка забезпечує їх ізоляцію та захист.
Такі волокна мають перехвати Ранв’є
для підвищення швидкості проведення нервових імпульсів, яка може досягати 400 км/год. Кінцеві розгалуження
аксонів називаються синаптичними
групи належать ці тварини? У чому суть рефлекторного принципу нервової регуляції? Рефлекс — реакція-відповідь організму
ється за участю нервової системи. Проявами рефлексів є виникнення чи припинення будь-якої діяльності організму: скорочення м’язів, розширення судин, поява секреції тощо. Матеріальною основою рефлексів є об’єднання різних
тю вставних нейронів; рухову (4)
відцентрове нервове волокно рухового
нейрона, що несе сигнали до робочих
органів; 5) ефекторну — нервове закінчення рухового нейрона, що передає нервовий імпульс до робочого органа. Найпростіша рефлекторна
дуга складається з двох нейронів: чутливого і рухового (колінний рефлекс, п’ятковий рефлекс). Складна рефлекторна дуга, крім чутливого й рухового
нейронів, включає ще один або кілька
вставних нейронів.
Біологія + Мистецтво Музика в стилі ambient музика спокою і простору. Прослухайте аудіозапис та висловіть міркування про характер впливу такої музики
Коротко про головне
ми дугами.
Діяльність
Рівень «ЗАСТОСОВУЄМО» Навчальне завдання. Які загальні ознаки нервової регуляції? Пояснення з використанням фрейму «Тетрада». НЕРВОВА РЕГУЛЯЦІЯ. Розвивальне завдання. Як відбувається нервова регуляція фізіологічних функцій? ПРАКТИЧНА РОБОТА 2. Будова рефлекторної дуги колінного рефлексу.
Ціннісне завдання. Яке значення нейронів у нервовій регуляції? Вправа для реагування. Функціонування нейронів.
Результат Очікувані
(1866–1927)
Цікаво! Термін «гумор» походить
від медицини стародавніх греків, які навчали, що здоров’я та емоції людини контролює співвідношення чотирьох рідин в організмі — сангва (кров), флегма (слиз), холео (жовта жовч) та меланхолео (чорна жовч). Їх разом називали словом гумор (лат. humor — «тілесна рідина»). Цікаво, а що таке гуморальна регуляція за науковими уявленнями і яке значення для здоров’я вона має?
ЗМІСТ
Які особливості гуморальної регуляції функцій?
процесів життєдіяльності організму людини через рідини внутрішнього середовища: кров, лімфу, тканинну рідину. Чинниками гуморальної регуляції є різні речовини (гормони, гормоноподібні сполуки, продукти обміну тощо). На відміну від нервової регуляції, характер впливу гуморальної — тривалий і загальний, а тип контролю — дистантний. Таблиця 3. ЗАГАЛЬНА ХАРАКТЕРИСТИКА ГУМОРАЛЬНОЇ
Молекулярний Здійснюється неорганічними (наприклад, СО2, NO) та органічними (наприклад, гормонами, нейрогормонами) речовинами
Клітинний Гормони досягають клітин-мішеней і вступають у взаємодію зі специфічними рецепторами
Тканинний Залози, у яких синтезуються
Органний Органами ендокринної
секретують
ферменти,
слиз, клітини сальних залоз виділяють шкірне сало для змащування шкіри та волосся.
Речовини гуморальної регуляції класифікують на два типи: секрети й інкрети, або гормони. Відповідно розрізняють два типи секреції: зовнішню та внутрішню.
Зовнішня секреція — вид секреції, при якій секрет залоз виділяється через протоки на поверхню шкіри і слизових оболонок або в порожнини тіла.
Внутрішня секреція — утворення та виділення речовин-інкретів з клітин у рідини внутрішнього середовища. Це функція особливих залоз, які є органами або групами клітин, здатних продукувати біологічно активні речовини — гормони. Особливим видом внутрішньої секреції є нейросекреція. Це здатність особливих нейронів виробляти нейрогормони (надходять у кров та мозкову рідину) та нейромедіатори (виділяються в синаптичну щілину). У людини до секреції нейрогомонів здатні нервові клітини, які зустрічаються в різних ділянках мозку, але найбільше їх у гіпофізі та гіпоталамусі. Гіпоталамічні гормони можуть стимулювати (ліберини) або пригнічувати (статини) виділення гормонів гіпофіза, а також впливати на функції нейронів у різних відділах головного мозку. За допомогою нейромедіаторів здійснюється передача імпульсу з нейронів через синапси на інші клітини — нервові, м’язові та залозисті. До нейромедіаторів відносять ацетилхолін, норадреналін, адреналін, гістамін, енкефаліни, ендорфіни та ін.
Сміх + Гормони Залежно від того, скільки триває сміх і наскільки він інтенсивний, в організмі людини можуть виділятися кілька нейрохімічних сполук. Дослідження по-
казують, що в цьому списку є серотонін, дофамін, окситоцин, ендорфіни.
Які залози беруть участь у гумораль -
ній регуляції?
Розрізняють три типи залоз секреції:
• залози зовнішньої секреції (екзокринні залози) — це залози, які виділяють через протоки свої секрети на
поверхню тіла або в порожнини тіла та органів (наприклад, слинні,
належать гіпофіз (1), епіфіз (2), щитоподібна (3), прищитоподібні (4), вилочкова (5), надниркові залози (6); • залози змішаної секреції (мезокринні залози) — це залози, які
виділяють як секрети, так і гормони. Це підшлункова (7) і статеві
залози: яєчники (8) та яєчка (9).
Біологія + Поезія «Добре жить Тому, чия душа і
Добро навчилася любить!» (Тарас Шевченко). Чи впливають
Діяльність Рівень «АНАЛІЗУЄМО» Навчальне завдання.
Самостійне перетворення знань з використанням фрейму «Тетрада».
ГУМОРАЛЬНА РЕГУЛЯЦІЯ.
Розвивальне завдання. Які процеси забезпечують утворення та виділення
регуляції? Інформаційно-пошукова вправа. Внутрішня та зовнішня секреція.
Ціннісне завдання. Поясніть підґрунтя таких фразеологізмів, як «від страху в піт кинуло», «у страху очі великі», «волосся дибки стало», «мурашки по спині забігали», «від радості дух перехопило». Вправа для переконаності. Механізм виникнення емоцій.
• аналізує знання: про ГУМОРАЛЬНУ
про внутрішню та зовнішню секрецію
• виявляє ставлення на рівні переконаності та обґрунтовує: значущість знань про гуморальну регуляцію та біологічне підґрунтя ПРАВА НА ЖИТТЯ
Саморозвиток Самонавчання. Пізнавальне завдання. Правило-орієнтир «Опитування».
Самооцінювання. Продуктивно-конструктивне завдання. Гуморальна регуляція. Біологія + Видатні жінки-науковиці
Треба подовжувати життя, а не старість.
Ілля Мечников (1845–1916) — український науковець, лауреат Нобелівської премії
Оцінюємо! «Одного разу… коли я залишився сам
над своїм мікроскопом, спостерігаючи за життям рухливих клітин у прозорої личинки морської зірки, мені спало на думку, що ці клітини в організмі мають протидіяти шкідливим впливам… Коли
моє припущення справедливе, то скалка, вставле-
на в тіло морської зірки, яка не має ні судинної,
ні нервової системи, має за короткий час бути оточена рухливими клітинами, що скупчуються навколо неї…». Як ці клітини захищають
організм?
ЗМІСТ
Яке значення імунної регуляції?
Організм людини, як і інших живих істот, має захисні механізми, що захищають від вірусів, хвороботворних бактерій, паразитичних грибів і тварин, шкідливих речовин, токсинів та канцерогенів, звільняє від перероджених власних клітин. Імунна регуляція забезпечується багатьма системами організму, наприклад, шкіра, дихальна система, травна система, ендокринна система, система крові.
Таблиця 4. ЗАГАЛЬНА
Рівень Характеристика
Молекулярний Регуляція здійснюється
Клітинний Основними елементами
(лімфоцити, моноцити, нейтрофіли та ін.)
Тканинний Захист, транспортування речовин по всьому організму тощо забезпечують сполучні тканини з їх
явними стовбуровими
Органний До імунної регуляції залучаються
(тимус, мигдалики), та органи фізіологічних систем
Що таке антигени й антитіла?
Основою імунної регуляції є імунні реакції, більшість із яких пов’язана з механізмом розпізнавання чужорідного матеріалу за принципом «антиген — антитіло».
Антигени — це чужорідні білкові речовини, які при потраплянні в
організм викликають утворення специфічних антитіл. Більша частина
новоутворених Т-лімфоцитів вступає
в реакцію з антигеном і за допомогою
білка перфорину знищує його. Інша
ж частина продовжує циркулювати з кров’ю. У разі повторного контакту з таким самим антигеном вони дають велику кількість Т-лімфоцитів, які й знищують антиген. Основними властивостями антигенів є: генетична відмінність (чужорідність), імуногенність (здатність викликати імунну відповідь) та специфічність. За джерелом надходження антигени поділяють на зовнішні (віруси, бактерії) та внутрішні (пухлинні клітини, вірусні білки). В-лімфоцити, що утворюються в кістковому мозку, виробляють антитіла. Антитіла — це білкові речовини, синтезовані організмом у відповідь на чужорідні білки. Усі антитіла людини — це імуноглобуліни плазми крові, які забезпечують захист, зв’язуючи антигени. При першому контакті В-лімфоцита з антигеном здійснюється «запам’ятовування» антигена і поділ клітин. Більша частина утворених В-лімфоцитів осідає в лімфоїдній системі організму і перетворюється на плазмоцити, які продукують антитіла. Решта В-лімфоцитів виходять у кров і стають В-лімфоцитами імунологічної пам’яті.
Біологія + Українська мова Розпізнаю біологічні антоніми: спадковість …; здоров’я …; сон …
Які функції біологічних бар’єрів в організмі людини?
Біологічні бар’єри — здатність організму за допомогою особливих фізіологічних механізмів
36
людини від надходження вірусів, бактерій та
інших шкідливих мікроорганізмів і речовин із кровоносної системи. Утворений бар’єр щільним шаром клітин ендотелію та нейроглії (астроцити), що огортають кожну кровоносну судину мозку. Коротко про головне
регуляція, підтримання сталості
нього середовища.
Діяльність
«ОЦІНЮЄМО» Навчальне завдання. Які
імунної регуляції? Оцінювання знань з використанням фрейму «Тетрада». ІМУННА РЕГУЛЯЦІЯ.
Розвивальне завдання. Завдяки чому
більшість шкідливих мікроорганізмів не потрапляє у внутрішнє середовище організму людини? Інформаційно-пошукова вправа. Шкіра як біологічний бар’єр.
Ціннісне завдання. Чи всі чужорідні чинники є небезпечними в разі потрапляння в організм людини? Вправа для вибірковості. Різноманітність імуногенних чужорідних чинників.
Результат Очікувані результати навчання (Учень / учениця...)
• оцінює знання: про ІМУННУ
• оцінює результати: ІНФОРМУВАННЯ
Одразу і не відповіси! «Cogito ergo sum (когіто ерго сум) Я мислю, отже, я існую», виголошував Декарт. Подумай над сутністю вислову і запропонуй відповідь про те, яке значення мають знання процесів життєдіяльності організму людини.
ЗМІСТ
Які особливості
никами
ні чинники. Суспільну
штучно
місць проживання транспортні об’єкти,
інші речі, усі предмети, що складаються зі штучно синтезованих речовин, серед яких значна частка чужорідних сполук-ксенобіотиків (діоксини, ліки, наркотичні речовини, пестициди, мінеральні добрива, мийні засоби, радіонукліди, синтетичні барвники).
За такого різноманіття зовнішніх впливів життєдіяльність організму є можливою лише за умови єдності функціонування регуляторних систем організму — нервової, ендокринної та імунної. Згідно із сучасними уявленнями цілісна регуляція фізіологічних функцій організму має багаторівневий характер і відбувається за участю механізмів на молекулярному (наприклад, регуляція біологічних ритмів), клітинному (наприклад, механізми автофагії), органному (наприклад, саморегуляція роботи серця за участю провідної системи), системному (здатність імунної системи виявляти клітини, уражені вірусом), організмовому (адаптація організму до
Регуляція фізіологічних функцій є
досліджень багатьох галузей біології, серед яких нейрофізіологія, ендокринологія, імунологія, геронтологія, космічна біологія, трансплантологія тощо. Особливо актуальними стають екологічна фізіологія та військова медицина.
Екологічна фізіологія займається вивченням пристосувальних змін функцій людського організму в природних та соціальних умовах існування. Ця наука охоплює досить широке коло проблем, із яких можна виділити такі:
1. Дослідження закономірностей та механізмів адаптації людини до змінених умов середовища, адаптивних форм поведінки, екологічних аспектів захворювань.
2. Дослідження адаптацій людини до різних природних умов Арктики й Антарктики, високогір’я, пустель, тропіків, умов морського клімату тощо. Крім того, цей напрям передбачає вивчення екологічних проблем хронобіології (перебудов біоритмів під впливом сезонних кліматичних коливань, при перетині часових поясів, при зміщених режимах праці).
3. Дослідження адаптації людини до екстремальних умов. Цей напрям включає вивчення фізіологічних ефектів зміненої гравітації, вібрацій, тривалих та інтенсивних звукових навантажень, гіпоксії та гіпероксії, високих і низьких температур, впливу електромагнітних полів та йонізуючого випромінювання. До цього напряму належить також вивчення діяльності людини в умовах авіаційних та космічних польотів, підводних робіт, при катастрофах.
4. Вивчення соціальної адаптації людини. Цей напрям передбачає дослідження адаптацій до міських і сільських умов, різних видів трудової та професійної діяльності, антропогенних чинників, включаючи забруднення навколишнього середовища.
Прикладними напрямами військової медицини в Україні є військова токсикологія, епідеміологія, гігієна, військово-польова терапія, хірургія, радіобіологія тощо.
Біологія + Медицина Ознаками депресії є похмурий і пригнічений настрій, агресія, страх, заздрість, відчуття провини тощо. Майже 75 % жителів нашої планети принаймні раз у
переживали цей стан. На прикладі
(2017),
кисню (2019).
фізіологія харчування, вікова фізіологія, підводна і космічна фізіологія та ін. Пріоритетними проблемами, що потребують наукового вирішення, є питання адаптаційного резерву, нервові процеси під дією інформаційного навантаження, вікова динаміка рівня гормонів, механізми адаптації в умовах глобального потепління, виникнення болю тощо. Актуальною є проблема посттравматичного стресового розладу (ПТСР) — психічного стану, що стає великим викликом для військових та інших осіб, які пережили
Діяльність Рівень «СТВОРЮЄМО» Навчальне завдання. Яке значення для організму
регуляція фізіологічних функцій? Моделювання змісту теми. РЕГУЛЯЦІЯ ФІЗІОЛОГІЧНИХ ФУНКЦІЙ.
Розвивальне завдання. Яке значення для людини
знання процесів регуляції фізіологічних
ролі природничих
Тема 3. ОПОРА
Дайте мені місце, на якому я можу стояти, і я зрушу Землю.
Архімед (287–212 до н. е.) —
один із найвидатніших науковців античності
§ 3.1. ОПОРА ЛЮДИНИ
Визначаємо! У багатьох людей і тварин, які здат-
ні до швидкого руху, скелет твердий, внутрішній, із «набором важелів». Цікаво, чому скелет твер-
дий і водночас рухливий?
ЗМІСТ
Які особливості опори у людини?
Опора людини як життєва функція, що визначає рухи, форму та захист, має свої особливості. Так, нижньощелепну кістку вирізняє наявність підборідного виступу, що пов’язано з її участю в процесі мовлення. Хребет має 4 вигини, це є пристосуванням до прямоходіння. А верхні кінцівки стали органами праці, які можуть виконувати величезну кількість рухів та силових навантажень.
Опора визначається наявністю неорганічних (вода, кальцій карбонат, кальцій фосфат) та органічних (колаген, осеїн) речовин Клітинний
хрящів. Головною
є
кровоносних судин. Живлення хондроцитів здійснюється шляхом дифузії зі сполучнотканинного шару — охрястя, що вкриває хрящі. Розрізняють гіаліновий (суглобові поверхні кісток, утворює реберні хрящі), еластичний (у складі вушних раковин, хрящів гортані) та волокнистий (у міжхребцевих дисках) хрящі.
Кісткова тканина сполучна скелетна тканина, що складається з клітин-остеоцитів і міжклітинної речовини та формує кістки скелета. У міжклітинній речовині цієї тканини переважають неорганічні сполуки (приблизно 2/3 від загальної маси). Це вода й солі, здебільшого, фосфати й карбонати Кальцію, а також сполуки Флуору, Магнію, Натрію, що надають тканині твердості й щільності. Органічні речовини представлено переважно білком осеїном, який утворює волокна й забезпечує гнучкість та пружність кісток. На відміну від хрящової, у кістковій тканині є кровоносні судини необхідні для живлення клітин і росту кісток. Остеоцити мають відростки, за допомогою яких з’єднуються між собою для більшої міцності тканини та отримують поживні речовини з кровоносних судин. У кістках виокремлюють два види кісткової речовини — компактну й губчасту. Структурною одиницею компактної

із 5–20 циліндричних пластинок, вставлених одна в одну. У центрі кожного остеона проходить центральний канал з кровоносними судинами. Губчаста речовина має тонкі кісткові
кули), які перехрещуються з утворенням комірок. Таке розташування пластинок забезпечує рівномірний
найбільшу її міцність за невеликої затрати кісткової
1. Скелет голови: а) мозковий відділ; б) лицевий відділ
2. Скелет тулуба: а) хребет; б) грудна клітка
3. Скелет кінцівок: а) плечовий пояс; б) скелет вільної верхньої кінцівки; в) тазовий пояс; г) скелет вільної нижньої кінцівки
1. М’язи голови: а) мімічні м’язи; б) жувальні м’язи
2. М’язи тулуба: а) м’язи грудей; б) м’язи спини; в) м’язи живота
3. М’язи кінцівок: а) м’язи пояса верхніх кінцівок; б) м’язи вільної верхньої
кінцівки; в) м’язи пояса нижніх кінцівок; г) м’язи вільної нижньої кінцівки
Біологія + Література «Праця це
сила,
слава» (Жорж Санд). Чи погоджуюсь я з таким твердженням? Коротко про головне ОПОРА
Діяльність
завдання.
Опорна схема. ОПОРА ЛЮДИНИ.
Розвивальне завдання. Які особливості кісткової та хрящової тканини визначають опору людини? Лабораторна вправа. Мікроскопічна будова кісткової та хрящової тканин.
Ціннісне завдання. Чи існує зв’язок між опорою людини та працею і красою? Вправа для визначення. Що таке
Усвідомлюємо!
призначення кісток в організмі людини?
ЗМІСТ Як функції кістки позначаються на її будові?
КІСТКА — орган, будова та властивості якого призначені для здійснення основних функцій скелетної системи. Кістки є живими утворами з такими ознаками живого, як обмін речовин, живлення, ріст, регенерація та ін.
Кістки здатні до обміну речовин і тому вся їхня товща пронизана системою канальців, що відкриваються на поверхні кістки у вигляді отворів. Через них до кістки підходять і відходять кровоносні судини й нерви, які забезпечують живлення,
сприйняття впливів тощо.
Кістки можуть постійно впродовж всього життя оновлюватися. Їх регенерація здійснюється шляхом знищення старих клітин і утворення нових.
Кістки здатні до росту: у довжину це забезпечується хрящовою тканиною
пластинки росту, у товщину — поділом клітин внутрішнього шару окістя. Ріст кісток завершується у 20–24 роки, регулюється гормоном росту і залежить від обміну Кальцію, Фосфору та вітаміну D. Як не дивно, але й кісткам властива здатність пристосовуватися до впливів середовища. Якщо під час рухів на м’язи, що прикріплені до кісток, впливає навантаження, то збільшується горбкуватість кістки у цій ділянці, внутрішнє розташування кісткових пластинок. Особливості будови кістки визначаються
гіпоксії жовтий перетворюється на червоний, з віком червоний кістковий мозок перетворюється в жовтий.
Біологія + Латина Яка латинська назва кістки? Чим і чому кістки людини відрізняються між собою?
Кістки скелета людини відрізняються між собою за формою, розмірами, будовою, хімічним складом тощо. Навіть одні й ті самі кістки у скелетах різних людей можуть відрізнятися (наприклад, тазові кістки чоловіка і жінки різного розміру). Змінюються кістки і з віком людини. У молодому віці вони містять значно більше осеїну, а в людей похилого віку в кістках уже більше неорганічних речовин.
Розрізняють кістки парні (наприклад, ключиці) й непарні (наприклад, під’язикова кістка). Кістки класифікують на трубчасті, губчасті, плоскі, змішані та повітроносні.
Трубчасті кістки беруть участь у переміщенні тіла людини. Тому в них видовжене тіло, міцні головки, наявна порожнина, заповнена жовтим кістковим мозком. Довгими трубчастими є плечова, стегнова, а короткими трубчастими — фаланги пальців, кістки п’ястка. Губчасті кістки побудовані переважно з губчастої речовини і тонкого шару компактної речовини. Розрізняють довгі губчасті (ребра, грудина) і короткі губчасті (кістки п’ястка). Плоскі кістки побудовані з губчастої речовини з червоним кістковим мозком, яка зверху і знизу вкрита тонкими пластинками компактної (лопатка, скроневі, тазові). Така будова сприяє виконанню захисної функції. Змішані кістки можуть виконувати різні функції, тому складаються з декількох частин, що мають різну будову, форму і походження (хребці, нижня щелепа). Повітроносні кістки мають повітряні порожнини, вистелені слизовою оболонкою, і упродовж життя збільшуються (лобова, верхньощелепні). Ці кістки виконують захисну функцію, пристосовані для вентиляції повітря.





між хребцями, за винятком крижових та куприкових. Рухомі з’єднання, або суглоби — це сполучення кісток за допомогою щільної тканини з формуванням проміжку між кістками. Прикладом суглобів є плечовий, кульшовий, колінний та ін. Суглоби складаються з трьох елементів: суглобова сумка, суглобові поверхні кісток і суглобова порожнина з рідиною для зменшення тертя. Суглоби поділяють на прості (з двох кісток, наприклад, кульшовий) та складні (утворені декількома кістками, наприклад, колінний).
Біологія + Стоматологія «Кісткова пластика є можливою завдяки тому, що кісткова тканина, на відміну від більшості інших тканин, має здатність до повної регенерації». Пояснюю твердження.
Коротко про головне
Кістка
з’єднань кісток (нерухоме, напіврухоме та рухоме), характер яких залежить від функціонального призначення.
Діяльність
Рівень «УСВІДОМЛЮЄМО» Навчальне завдання. Чому кістка
опорно-рухової системи? Опис з використанням інтелект-карти. КІСТКА.
Розвивальне завдання. Чим і чому відрізняються кістки скелета людини? Інтелектуально-розвивальна вправа. Характеристика окремих кісток людини.
Ціннісне завдання. Як праця може зміцнювати кістки і як хімічний склад та властивості кісток впливають на здатність до праці? Вправа для сприймання. Органічні й неорганічні речовини та властивості кісток. Результат
•
• виявляє
Очікувані результати навчання (Учень
кістка людини у вертикальному положенні може витримувати вантаж вагою в 1500 кг, хоча її власна маса лише 200 грамів. Які ж особливості будови й хімічного складу зумовлюють таку міцність кісток?
ЗМІСТ Яка будова та функції скелета людини?
Скелет (від грец. скелетос — висохлий) людини складається з трьох відділів: скелет голови (череп), тулуба та кінцівок.
Череп захищає головний мозок і органи чуттів. У черепі людини розрізняють два відділи — мозковий, у якому містяться головний мозок і органи чуття, та лицевий, який утворює основу дихального апарату і травного каналу. Скелет тулуба захищає спинний
ни. Скелет тулуба складається
сю скелета й побудований
хребцями, ребрами та грудиною. Скелет кінцівок забезпечує опору й переміщення тіла в просторі. Скелет верхніх кінцівок складається з плечового пояса (лопатки і ключиці) та скелета вільної верхньої кінцівки (плеча, передпліччя й кисті). Верхні кінцівки в людини є органами праці. У скелеті нижньої кінцівки розрізняють тазовий пояс і скелет вільної нижньої кінцівки (стегно, гомілку й стопу). Нижні кінцівки виконують функції опори й переміщення, утримують тіло
Проте скелет людини має ряд особливостей, що властиві лише для нього. Вони пов’язані з прямоходінням, працею та мовленням.
Біологія + Космос Цікаво, які зміни відбуваються в скелетній системі людини під час перебування в космосі?
Які особливості скелета людини?
Череп людини має мозковий та лицевий відділи. Мозковий відділ складається з 8 кісток, які з’єднуються нерухомо за допомогою швів. Непарними кістками є лобна, потилична, клиноподібна й решітчаста, а парними — тім’яні та скроневі. Лицевий відділ також має парні (верхньощелепні, виличні, носові, піднебінні, слізні) та непарні (нижньощелепну і під’язикову).
Шийний
(7)
Іл. 15. Кістки черепа: 1 — лобова; 2 — тім’яна; 3 — клиноподібна; 4 — скронева; 5 — потилична; 6 — носова; 7 — слізна; 8 — вилична; 9 — верхньощелепна; 10 — нижньощелепна
черепа розвинений краще, ніж
(12)
(5)
(5) Куприковий
(4–5)
Іл. 16. Хребет людини
два назад — кіфози (грудний, крижовий). Вигини хребта в процесі еволюції з’явились як пристосування до прямоходіння. Хребет людини складається із 33–34 хребців, поєднаних у відділи: шийний (7 хребців), грудний (12 хребців), поперековий (5 хребців), крижовий (5 хребців зростаються з утворенням крижової кістки) та куприковий (4–5 хребців, що зростаються з утворенням куприка). Грудна клітка утворена ззаду грудними хребцями, спереду — грудиною, а з боків — ребрами. У людини грудна клітка сплощена спереду назад, що пов’язано з вертикальним положенням тіла та зміною функцій верхніх
з формуванням руки
нижніх кінцівок (тазовий пояс) включає дві кульшові кістки, утворені окремими кістками, що зростаються після 16 років. Таз у людини широкий і міцний для підтримання й захисту внутрішніх органів під час прямоходіння. Скелет вільної нижньої кінцівки поєднує стегнову, малогомілкову і великогомілкову кістки, надколінну чашечку та кістки стопи: плесно, заплесно і кістки пальців. Пристосуванням до прямоходіння є масивні й міцні стегнові
малорухливими пальцями.
Навчальне завдання. Які органи утворюють скелетну систему людини? Пояснення з використанням інтелект-карти. СКЕЛЕТ ЛЮДИНИ.
Розвивальне завдання. Які причини відмінностей і подібності
в будові скелета людини та ссавців? Інтелектуально-розвивальна вправа. Порівняння скелета людини й горили.
Ціннісне завдання. «Людина народжена для праці, як птах для польоту» (Папа Римський Пій ХІ). З якими особливостями скелета людина народжується для праці, а які формуються упродовж трудової діяльності? Вправа для
та праця.
§ 3.4. РУХ ЛЮДИНИ
Аналізуємо! «— У нас, сказала Аліса, важко переводячи дух, коли довго біжиш з усіх ніг, неодмінно потрапиш в інше місце.
Яка повільна країна! сказала Королева. Ну, а тут, знаєш, доводиться бігти з усіх ніг, аби тільки лишитися на тому самому місці!». Цікаво, про що йдеться в цій розмові?
ЗМІСТ
Які особливості руху людини? Рух людини здійснюється опорно-руховою
Так, у зв’язку з прямоходінням дуже добре розвинені
нижніх кінцівок та м’язи спини, що утримують тіло у вертикальному положенні. Членороздільна мова забезпечується голосовими й мімічними м’язами та розвинутими м’язами язика,
складні рухи. А рука як орган праці вимагає участі багатьох
тканини. Непосмугована тканина складається з клітин-міоцитів і входить до складу внутрішніх органів і судин. Клітини веретеноподібні, одноядерні, з неупорядкованим розташуванням міофібрил. Скорочення непосмугованої тканини повільне, ритмічне, без втоми, мимовільне, забезпечує рухи кишки, зміну просвіту судин, сечовиділення, пологи тощо.
Посмугована скелетна тканина складається з м’язових волокон і утворює скелетні м’язи. Цю тканину називають скелетною, оскільки м’язи, які вона утворює, хоча б одним кінцем прикріплюються до кісток скелета (крім мімічних м’язів). Структурною і функціональною одиницею тканини є м’язове волокно. Ці утвори мають довжину до 130 мм, циліндричні, з багатьма ядрами та численними міофібрилами. У цитоплазмі м’язового волокна велика кількість мітохондрій та особливих молекул міоглобіну (дихальний пігмент, здатний переносити кисень у м’язах). Скорочення тканини потужні, швидкі, з втомою і довільні. Тканина будує скелетні та мімічні м’язи, м’язи язика, діафрагми, забезпечує рухи тіла, міміку, мовлення. Посмугована серцева тканина складається з клітин-кардіоміоцитів і утворює серцевий м’яз міокард. Клітини з’єднуються в багатоядерні м’язові волокна. Між волокнами наявні вставні диски, завдяки чому збудження швидко поширюється по всьому серцевому м’язу. Серцеві волокна мають центральне розташування ядер, у них відносно менше міофібрил і більше мітохондрій порівняно зі скелетними. Скорочується серцева тканина швидко, ритмічно, без втоми, скорочення її є мимовільними.
Яка будова та функції м’язів людини?
М’ЯЗ орган руху у тварин і людини, який складається з м’язової тканини, здатної до скорочення під впливом нервових імпульсів. Сукупність м’язів становить м’язову систему. М’язи виконують такі функції: рухову, опорну, захисну, чутливу (мають пропріорецептори для сприйняття подразнень), депонувальну (в м’язах накопичується глікоген), теплоутворювальну (близько 70 % тепла вивільняється мітохондріями м’язів). У людини розрізняють скелетні, гладкі й серцевий м’язи. Скелетні м’язи — це скоротливі органи, які побудовані з посмугованої скелетної
лише в серці. Цей м’яз унікальний за своєю структурою завдяки розгалуженим взаємозв’язкам між клітинами.
Біологія + Мистецтво Цікаво, яка наукова назва
м’яза, який зіграв головну роль у створенні неповторної посмішки Мони Лізи (Джоконди) на картині Леонардо да Вінчі «Портрет пані Лізи дель Джокондо»?
Коротко про головне
Діяльність Рівень «АНАЛІЗУЄМО»
Навчальне завдання.
Самостійне перетворення знань в інтелект-карту. РУХ ЛЮДИНИ. Розвивальне завдання. Які особливості м’язової тканини визначають рухи людини? ЛАБОРАТОРНА РОБОТА 3. Мікроскопічна будова м’язової тканини.
Ціннісне завдання. Чи існує зв’язок між будовою, функціями м’язів та красою тіла людини? Вправа для переконаності. Будова і властивості скелетного м’яза. Результат
Очікувані
Рух людини.
Ніщо так не виснажує і не руйнує людину, як тривала фізична бездіяльність. Арістотель (384–322 до н. е.) — давньогрецький філософ-енциклопедист § 3.5.
Оцінюємо! Наймогутніший міфічний грецький герой Геракл уславився неймовірними подвигами, найвідомішими з яких є: боротьба з немейським левом, знищення лернейської гідри та стімфалійських птахів, очищення стаєнь Авгія, викрадення золотих яблук із саду Гесперид, приборкання пса Цербера в царстві Аїда та ін. Кожний із його подвигів вимагав нелюдського напруження всіх сил. Чому ж цей герой не втомлювався здійснювати свої славетні
подвиги?
ЗМІСТ Які
Скелетні м’язи людини — це м’язи голови, тулуба
що беруть участь у здійсненні майже
М’язи голови поділяють на м’язи склепіння черепа та м’язи обличчя (мімічні та жувальні). Мімічні м’язи одним кінцем вплітаються у шкіру, а іншим — прикріплюються до кісток. Вони забезпечують мімічні рухи обличчя, беруть участь у мовленні. Жувальні м’язи здійснюють
Коловий м’яз рота
ні, діафрагма). М’язи живота (косі, прямий, квадратний) здійснюють рухи тулуба, захист органів черевної порожнини, беруть участь у дихальних рухах. М’язи спини (трапецієподібний, ромбоподібний, широкий м’яз спини) рухають кінцівки, голову, тулуб.
М’язи кінцівок відіграють основну роль у переміщенні тіла людини та його частин. М’язи плечового пояса (дельтоподібний, підлопатковий) забезпечують рухи в плечовому суглобі. Рухи руки здійснюють м’язи вільної верхньої кінцівки, які поділяють на м’язи плеча (двоголовий, триголовий), м’язи передпліччя (згиначі і розгиначі кисті) та м’язи кисті (долонні). М’язи тазового пояса забезпечують рухи ноги в кульшовому суглобі (сідничні, грушоподібний). М’язи вільної нижньої кінцівки здійснюють рухи нижньої кінцівки. Їх поділяють на м’язи стегна (кравецький, чотириголовий), м’язи гомілки (триголовий, литковий) та м’язи стопи (підошовні, згиначі й розгиначі пальців).
Біологія + Культура «Шукай КРАСИ, добре шукай! Вона є все, вона є всюди!» (Іван Франко).
А чи існує зв’язок між сприйняттям прекрасного і продуктивністю ПРАЦІ?
Як працюють скелетні м’язи?
РОБОТА М’ЯЗІВ — це
імпульсів, що надходять до м’яза. Швидкість скорочення м’язів визначається часом, за який м’яз скорочується й розслаблюється. Витривалість м’язів — це їхня здатність тривалий час підтримувати заданий ритм роботи. А стан постійного незначного напруження м’язів, завдяки чому підтримується готовність до здійснення роботи, є тонусом м’язів.
Роботу м’язів поділяють на статичну і динамічну. Статична робота — це та, за якої м’язи напружуються, але не скорочуються (при утриманні вантажу), а за динамічної роботи м’язи почергово скорочуються і розслаблюються (під час бігу чи ходіння).
може призвести до
ревтоми, що має негативний вплив на організм: вичерпуються ресурси клітин, руйнуються органели, розвивається синдром хронічної втоми тощо. Щоб запобігти перевтомі, необхідно правильно організовувати роботу й відпочинок, дотримуватися раціонального харчування, ураховувати можливості м’язів, уникати надмірних навантажень, боротися з поганим настроєм та ін.
Під час дослідів встановлено, що в людини найпродуктивнішою буде робота, яка здійснюється за середнього навантаження, середнього темпу та оптимального стану нервової системи. Істотною умовою продуктивної роботи є тренованість м’язів.
Біологія + Здоров’я Озвучую назву виду фізкультури, яка походить від англійського дієслова «to fit» пристосовуватися, бути в гарній формі. Коротко про головне
Функції різних груп м’язів дуже різноманітні,
системи та тренованість м’язів. Діяльність Рівень «ОЦІНЮЄМО»
Навчальне завдання. Яке значення м’язової системи людини? Оцінювання знань з використанням інтелект-карти. М’язова система людини.
Розвивальне завдання. Які умови найпродуктивнішої роботи скелетних м’язів? Практична вправа. Розвиток втоми під час статичного й динамічного навантаження.
Ціннісне завдання. Чи можуть розвиватися м’язи без навантаження? Вправа для вибірковості. Навантаження м’язів та КРАСА ЛЮДИНИ. Результат
Цікаві факти
• Набирання ложкою супу з тарілки «вмикає» близько 30 суглобів верхньої кінцівки.
• Найдовша кістка людини — стегнова, найкоротша і найменша — стремінце.
• У здійсненні кожного кроку беруть участь до 300 скелетних м’язів.
• Людині легше посміхнутися, ніж насупитися: у першому випадку працює всього 17 м’язів, а в другому — аж 43.
• Найдовший м’яз людини — кравецький м’яз стегна,
стремінцевий м’яз середнього
риголовий м’яз стегна.
ЗМІСТ Які чинники мають визначальний
м ’ язів? У процесі
формуванням
суглобів,
зв’язок тощо. Ці зміни
із силами природи (сонце, вода, повітря) та режимом
вання фізичні вправи дозволяють розвивати й
вості опорно-рухової системи: ріст кісток відбувається нерівномірно і триває до 20–24 років; формування вигинів хребта завершується до 18–20 років; рухливість у різних відділах хребта розвивається нерівномірно: найбільша у 8–9 років, після 15–17 років — зменшується. З віком міжхребцеві диски втрачають еластичність; окостеніння кісток верхніх кінцівок починається в період статевого дозрівання;
гіподинамія
опорно-руховій системі людини?
Поняття «гіпокінезія» та «гіподинамія» мають різне значення, хоча вживаються як синоніми. Гіпокінезія (грец. «гіпо» — під і «кінезіс» — рух) — це обмеження рухового навантаження, що зумовлено способом життя, особливістю професійної діяльності, ліжковим режимом у період захворювання тощо. У низці випадків гіпокінезія супроводжується гіподинамією (грец. «динаміс» — сила), тобто зменшенням м’язових зусиль, які витрачаються на втримання пози, переміщення тіла в просторі, фізичну працю. Установлено, що основними гіподинамічними змінами в скелеті, які спостерігаються під час тривалої гіпокінезії, є зменшення кісткової маси, зниження мінеральної щільності кісткової тканини; водночас спостерігається функціональна атрофія скелетних м’язів, затримка росту кісток та ін. Найбільші зміни виявлені в кістках, які несуть максимальне опорне навантаження (стегнові кістки, кістки тазу та хребці).
Гіподинамія — захворювання сучасної людини, основний чинник ризику, що негативно впливає на ріст і розвиток людини, тривалість її життя, життєві функції та загальний стан організму. Ознаками захворювання є порушення роботи серця, втрата тонусу судин, сповільнення кровообігу. Погіршується забезпечення клітин поживними речовинами й киснем, порушуються процеси синтезу та розщеплення в клітинах тощо. Погіршується нервова регуляція діяльності м’язів, у якій беруть участь кора великого мозку (відповідає за умовно-рефлекторну рухову діяльність), мозочок (регулює координацію рухів), спинний мозок (містить нервові центри рефлексів, що здійснюють підтримання постави, ходіння, біг). Особливо небажаним є поєднання гіподинамії з надмірним нервово-психічним навантаженням, зловживанням гаджетами та переїданням. Основними профілактичними засобами проти гіподинамії — хвороби ХХІ століття — є рух, фізичні навантаження і здоровий спосіб життя.
Біологія + Медицина Часто люди, кисть яких перебуває в незручній позі під час роботи з комп’ютером чи планшетом, відчувають оніміння кисті і пальців. Не всі знають, що це синдром зап’ястного каналу, або…
є першим розділом, із якого традиційно починається вивчення анатомії людини в медичних навчальних закладах. Крім того, це спеціальний розділ антропології, що вивчає еволюцію ознак скелета людини.
Міологія — наука про будову, розвиток, функціонування, анатомію м’язової системи. Знання про м’язи майбутні художники, науковці, медики набувають під час вивчення топографічної анатомії, фізіології, медичних дисциплін (хірургії, травматології, неврології). Важливе значення для формування, збереження та зміцнення здоров’я окремої людини мають такі напрями медицини, як санологія (формування, збереження, зміцнення здоров’я здорової людини переважно немедикаментозними засобами) та фармакологія (наука про лікарські препарати та їх дію на організм).
Коротко про головне Заняття фізичними вправами мають
ров’я, мистецтва, спорту.
Діяльність
Навчальне завдання. Що таке
та рух людини? Моделювання змісту. ОПОРА та РУХ.
Розвивальне завдання. Чому опора та рух людини мають біосоціальний характер? Інфографіка. Вплив природних і соціальних чинників на формування скелета і м’язів.
Ціннісне завдання. Проєкт на одну з тем щодо емоційно-ціннісного сприйняття і пізнання природи для успішного життя в соціоприродному середовищі.
Результат
• узагальнює
Клітини потребують постійного надходження енергії для створення та підтримки біологічного порядку, який підтримує їх життя. Брюс Альбертс (1938) — американський біохімік
ТА ЕНЕРГІЇ
Метикуємо! Годинник зроблений із декількох десятків деталей, автомобіль — з декількох сотень, сучасний комп’ютер — з декількох десятків тисяч. А людина? Важко повірити, але це факт: новонароджена дитина — це близько 2 трильйонів клітин, а організм дорослої людини складається більше ніж із 60–100 трильйонів клітин. Яка основна властивість організму людини забезпечує їх життєдіяльність?
ЗМІСТ У чому суть обміну речовин та енергії в організмі людини?
Обмін речовин та енергії в організмі здійснюється завдяки сукупності фізіологічних функцій — взаємопов’язаних процесів дихання, травлення, виділення, транспортування речовин тощо. З обміном речовин та енергії пов’язані й усі інші властивості організму, якими є подразливість, ріст, розвиток, адаптивність тощо. Основа будь-якої фізіологічної функції — перетворення речовин та енергії в клітинах. Поживні речовини що надходять в організм, потрапляють до клітин і вступають у хімічні реакції розпаду й синтезу. Ці хімічні перетворення речовин супроводжуються фізичними процесами перетворення енергії. Хімічна енергія сполук після їх розпаду може перетворюватися в механічну енергію скорочення м’язів, електричну енергію імпульсів для діяльності нервової системи, променеву енергію теплового випромінювання. Частина звільненої енергії використовується клітинами для утворення власних речовин, необхідних для розмноження, росту, оновлення органел, регенерації тканин тощо. Інша частина енергії перетворюється в тепло, яке організм віддає в навколишнє середовище.
Під час обміну речовин та перетворення енергії в організмі людини здійснюється низка функцій, а саме: 1) пластична (забезпечення потреб організму в речовинах); 2) енергетична (забезпечення потреб організму в енергії); 3) інформаційна (речовини та енергія можуть бути джерелом зовнішньої інформації).
Дитяче питання Чому білі ведмеді не мерзнуть?
жири
та
вуглеводи
моносахариди. Ці речовини всмоктуються в кров чи лімфу та переносяться до клітин.
Усередині клітин відбувається другий етап обміну речовин та енергії — внутрішньоклітинний, або проміжний. Основою цього етапу є дві групи процесів: синтез — утворення складних органічних сполук із простих, на які витрачається енергія (асиміляція); розпад — перетворення складних органічних сполук на
прості, під час яких енергія виділяється (дисиміляція). Асиміляція і дисиміляція
відбуваються одночасно і взаємопов’язано. У результаті розщеплення речовин звільняється енергія, яка затрачається на синтез сполук. Процеси синтезу не завжди врівноважені з процесами розпаду. Так, в організмі, що росте, переважають процеси синтезу, завдяки чому забезпечується ріст організму. Під час інтенсивної фізичної роботи та в старості переважають процеси розпаду.
Продукти обміну речовин виділяються в тканинну рідину, далі — у кров та лімфу, які й транспортують їх до певних органів (печінка, легені, нирки, шкіра, травний канал) для видалення з організму.
Які чинники впливають на обмін
речовин
людини це пов’язано з віком, фізичним станом організму, статтю, масою
обміну знижується на 7–10 % кожні десять років, досягаючи
3.
4.
що використовується для характеристики обміну речовин та енергії в організмі людини є маса тіла. Використовуючи запропоновані відсотки (м’язи ≈ 43 %, скелет ≈10 %, шкіра ≈ 8,7 %, кров ≈ 7,7 %, серце ≈ 0,43 %, головний мозок ≈ 1,8 %), визначаю масу окремих органів чи частин свого організму. Коротко
Діяльність
«Три
та ЕНЕРГІЇ.
Розвивальне завдання. Чому дослідження обміну речовин і перетворення енергії з використанням індексу маси тіла рекомендується здійснювати в дорослих? Практична вправа. Самоспостереження за співвідношенням маси тіла і зросту.
Ціннісне завдання. Чому знання про обмін речовин
обхідною складовою безпеки? Вправа для визначення. Що таке безпека?
Потрібно їсти, щоб жити, а не жити, щоб їсти. Сократ (470–399 до н. е.) — давньогрецький філософ
§ 4.2. ХАРЧУВАННЯ
Усвідомлюємо! Їжею є все, що споживає людина
для забезпечення життєдіяльності. Але рідко хто розуміє, що найкориснішими для людини є натуральні продукти, тому що вони містять… енергію Сонця. У чому суть цього твердження?
ЗМІСТ
Яке значення харчування для організму людини?
Під час розпаду їжі виділяється енергія, яка затрачається на забезпечення життєдіяльності організму (енергетична функція). Речовини у складі їжі використовуються для побудови клітин, тканин, органів, їх оновлення (харчова функція). Їжа містить речовини (наприклад, вітаміни, клітковина), які беруть участь
регулюванні
речовин (регуляторна функція). Хімічні
організму, нехтування якою
функція).
Біологія + Їжа Мед — ідеальний природний харчовий продукт. Цікаво, чому і чи для всіх людей?
З чого складається їжа людини?
Харчові продукти це компоненти їжі, які споживаються в натуральному або переробленому, зміненому або незмінному вигляді. За ознакою походження харчові продукти поділяють на: тваринні (м’ясні, молочні, рибні), рослинні (із зернових, фруктових, овочевих, пряних рослин), мікробіологічні (яблучний оцет, лимонна кислота), мінеральні (кухонна сіль, йодована сіль). За хімічним складом розрізняють білкові, жирові, вуглеводні продукти. До харчових продуктів відносять також напої, кондитерські вироби, смакові (есенції, прянощі) та харчові (ароматизатори, розпушувачі) добавки. Таблиця 8.
За сучасною класифікацією харчові
поділяються на групи: 1) традиційні (натуральні
рослинні та тваринні продукти); 2) функціональні (змінені продукти, що підтримують активність органів, знижують ризик захворювань); 3) спеціальні (змінені дієтичні продукти, харчові добавки, продукти для спортсменів); 4) продукти для харчування дітей. Крім того, у сучасній термінології для характеристики їжі існують ще й такі поняття, як органічні продукти, екологічно чисті продукти, генетично модифіковані продукти та ін. Харчові продукти характеризує їхня харчова та енергетична цінність. Харчова цінність окремого продукту визначається наявністю та співвідношеннями в його складі поживних речовин. Калорійність їжі, або енергетична цінність харчових продуктів, — кількість енергії, яка утворюється в результаті окиснення жирів, білків, вуглеводів, що містяться в харчових продуктах, і затрачається на фізіологічні функції організму. У складі харчових продуктів є поживні й додаткові речовини.
Біологія + Харчування «Якщо ти не будеш їсти таку смачну кашу, ти не виростеш великою і сильною. А якщо ти не виростеш великою і сильною, то не зможеш змусити своїх дітей, коли вони в тебе будуть, їсти таку смачну кашу» — говорить Пеппі Довгапанчоха.
жирах, вуглеводах залежить передусім від потреб в енергії.
життєдіяльності в умовах спокою (основний обмін) та фізичної активності (функціональний обмін). Загальні енергетичні потреби залежать від статі, віку, зросту, маси тіла, навантаження на організм тощо.
Кількість енергії (основного обміну) в стані спокою (Еосн) у дорослих визначається з розрахунку Егод = 4,2 кДж/кг/год. Так, для юнака віком 20 років зростом 175 см і масою 70 кг необхідно близько Еосн = 7060 кДж/кг/год на добу (1700 ккал). Кількість енергії (функціонального обміну) за умови розумової діяльності упродовж 12 год із затратами 6,3
човинах, що затрачаються на ріст та відновлення клітин, тканин та органів. Ці «будівельні» потреби в організмі людини пов’язані здебільшого з білками. Потреба людини в білках визначається її масою, віком і рівнем активності.
Біологія + Охорона здоров’я
Діяльність
«УСВІДОМЛЮЄМО» Навчальне завдання. Яке значення харчування?
радіальною схемою. ХАРЧУВАННЯ.
Розвивальне завдання. Як визначають енергетичні потреби? Дослідницька вправа. Які продукти мають більшу енергетичну цінність: молоко, сік виноградний чи сік апельсиновий?
Ціннісне завдання. Чому дітям не рекомендується їсти гриби? Вправа для сприймання. Поживні й додаткові речовини білих грибів. Результат Очікувані результати
• описує: особливості
• формулює очікувані результати: для
харчування з категорією БЕЗПЕКА Саморозвиток Самонавчання. Регулятивне завдання. Графічний організатор. Фрейм «Три кольори». Самооцінювання. Завдання на розпізнавання. Живлення тварин.
Тварини живляться, люди харчуються, і тільки розумна людина знає, як їсти.
Жан Антельм Брилья-Саварен (1755–1826) — французький юрист, кулінар, письменник
§
4.3. ПОЖИВНІ РЕЧОВИНИ
Застосовуємо! Знак однієї із систем розумного харчування «MyPlate» містить зображення тарілки та склянки з харчовими продуктами, розподіленими на п’ять груп: фрукти, овочі, білкова їжа, зер-
нові й молочні продукти. Цікаво, що означають ці символи?
ЗМІСТ
У чому функціональне значення білків та які особливості їх обміну?
Харчові продукти містять різну кількість поживних речовин, а отже, мають різну харчову цінність. Тому під час кожного приймання їжі необхідно усвідомлено і правильно заповнювати свою тарілку продуктами харчування, що містять білки, жири та вуглеводи. БІЛКИ — це органічні високомолекулярні сполуки, побудовані з амінокислот. Ці важливі органічні речовини беруть участь у побудові клітин та органів, утворенні ферментів, антитіл, гормонів, гемоглобіну, забезпечують скорочення м’язів. А в разі нестачі вуглеводів та жирів в організмі білки можуть бути і джерелом енергії. Саме тому повноцінне життя без білкової їжі просто неможливе. Джерелом білків та амінокислот є харчові продукти тваринного (м’ясо, молоко, риба, яйця) і рослинного (хліб, крупа, овочі, фрукти) походження. Добова потреба організму в білках — 118–120 г.
Для обміну білків в організмі людини характерні певні особливості: утворення сечовини як кінцевого продукту обміну, відсутність процесів запасання білків, односпрямоване перетворення білків на жири й вуглеводи, необхідність для утворення власних білків усіх важливих незамінних та замінних амінокислот. Особливості обміну білків пов’язані передусім із їх
будують клітинні мембрани, під час окиснення жирів утворюється вода. Крім жирів тваринного походження (свинячий жир, риб’ячий жир) у харчовому раціоні обов’язково мають
рослинні жири (соняшникова, оливкова, соєва олії). Добова потреба в жирах складає 100–110 г. Для обміну жирів характерні певні особливості: утворення великої кількості енергії при окисненні, наявність процесів депонування, можливість утворення з білків та перетворення
кислот та ін.
енергетичну і пластичну функції. Як джерело енергії жири у
ніж вуглеводи й білки. Розщеплення жирів відбувається
ферментів-ліпаз. Необхідною умовою розщеплення жирів
чому сприяють жовчні кислоти. У такому вигляді жири можуть розщеплюватися до жирних
всмоктуватися стінками
надходять до клітин підшкірної клітковини, сальника, бурої жирової тканини. Центр регуляції обміну жирів розташований у гіпоталамусі, він впливає на перетворення жирів через гіпофіз, статеві, щитоподібну і підшлункову залози.
Біологія + Історія Перша цивілізація в Європі виникла на території Греції і значною мірою її формування пов’язане з тріадою культурних рослин, які й давали основні харчові продукти. Розпізнаю ці культури.
Яке значення та особливості вуглеводів? ВУГЛЕВОДИ — це органічні сполуки, які є основним джерелом енергії для організму. При нестачі вуглеводів у їжі вони утворюються із жирів і частково з білків, а за надлишку перетворюються на жири. У вигляді глікогену вуглеводи містяться в печінці та м’язах. Джерелами вуглеводів у харчуванні людини є рослинні продукти (хліб, крупи, картопля, овочі, фрукти, ягоди тощо), тваринні продукти (молоко, що містить молочний цукор) та ін. Добова потреба становить 350–440 г. Для обміну
синтезуються з
та жирів.
обміну є гіпоталамус проміжного мозку. Інсулін є єдиним гормоном, який знижує концентрацію глюкози в крові,
ня з використанням фрейму «Три кольори». ПОЖИВНІ РЕЧОВИНИ. Розвивальне завдання. Як визначити
тів? ПРАКТИЧНА РОБОТА 4. Характеристика харчового продукту за
планом.
Ціннісне завдання. Чому надлишок вуглеводів
вуглеводів та організм людини.
Результат
цінності харчових продуктів
• виявляє ставлення на рівні реагування та пояснює настанову: про значущість знань про поживні речовини для БЕЗПЕКИ ЖИТТЄДІЯЛЬНОСТІ
Саморозвиток
Самонавчання. Комунікативне завдання. Кросворд «Живлення». Самооцінювання. Репродуктивне завдання. Тест. Поживні речовини.
Біологія + Видатні жінки-науковиці + Англійська мова «Я вірю, що в
людського розуму (I believe that in art and science are the glories of the human mind) — стверджувала Герті Тереза Корі (1896–1957), американська
кози».
Володимир Коломієць (1935–2017) — український поет
§ 4.4. ДОДАТКОВІ
Аналізуємо! Квашені овочі (помідори, огірки, капуста) є корисними та рекомендовані для обов’язкового вживання. Їх вплив на організм людини зумовлений утворенням у процесі бродіння певних речовин, серед яких і молочна кислота. Цікаво, це поживна чи додаткова сполука?
ЗМІСТ У чому полягає
Додаткові речовини не виконують ні енергетичної, ні пластичної функції, але без них неможливе засвоєння їжі та життєдіяльність організму. Крім води і мінеральних солей, до цієї
належать вітаміни, органічні кислоти, пектинові речовини, клітковина, харчові добавки та ін. Органічні кислоти (молочна, яблучна, лимонна, оцтова) водорозчинні, добре засвоюються, є активними учасниками різних процесів обміну речовин. Наприклад, лимонна кислота впливає на обмін жирів, зменшує кількість холестеролу у крові. Кислоти стимулюють виділення травних соків, посилюють рух стінок шлунка та кишки, що сприяє перетравленню їжі.
Пектинові речовини забезпечують зв’язування та видалення з організму токсичних сполук, йонів важких металів (свинцю, кадмію, ртуті та ін.), радіонуклідів, пригнічують процеси гниття в кишках.
Клітковина (харчові волокна) — рослинні компоненти, що сприяють руховій активності та секреції кишкового тракту, є джерелом для синтезу мікроорганізмами вітамінів В1, K.
Харчові добавки — речовини, які додають у харчові продукти з метою посилення або збереження їхніх властивостей.
Біологія на кухні У побуті часто спостерігається явище, за якого скибки
віком один рік — 66 %, у дорослої
людини — 60 %. Без води дорос-
ла людина може прожити не більше десяти діб. У клітинах вода є
розчинником для речовин, регулятором температури тіла, засобом
транспортування сполук, опорою
клітин та ін.
Мінеральні речовини є неорганічними сполуками. Основним джерелом цих речовин є рослинні продукти. Наприклад, Кальцію багато міститься в бобових рослинах, молочних продуктах, Калію — у картоплі, гречці, бананах, Купруму — в чорносливі, Феруму — в яблуках, салаті, Цинку — в гарбузовому насінні. У клітинах найбільше значення мають Кальцій (зсідання крові, регуляція роботи серця), Натрій і Калій (клітинне транспортування речовин, утворення нервових імпульсів), Ферум (входить до складу гемоглобіну).
Біологія + Українська література «…Той і думкою не здумає і в сні не виснить, яка се добра річ пироги з черницями» (Іван Франко. «Пироги з черницями»). Чому ягоди чорниць такі смачні та ще й корисні?
Як відбувається обмін води та солей в організмі?
Водно-сольовий обмін — це сукупність процесів, що забезпечують участь води й мінеральних речовин у метаболізмі. Основна роль цього обміну в організмі
є важливою складовою частиною будь-якої клітини, рідкої основи крові та лімфи. Доросла людина у звичайних умовах вживає близько 1,5–2 л води на добу. Крім того, в організмі утворюється близько 300 мл метаболічної води. Обмін
Спеції використовуються для зміни смаку страви, а прянощі — для посилення і доповнення смакових якостей. Називаємо приклади найпоширеніших спецій та прянощів української національної кухні.
Коротко про головне Додаткові речовини — це речовини, які не виконують ні енергетичної, ні харчової функції, але без них неможливе засвоєння їжі та
речовин у складі їжі? Фрейм «Три кольори». ДОДАТКОВІ РЕЧОВИНИ ЇЖІ. Розвивальне завдання. У якому вигляді кухонна сіль бере участь у фізіологічних процесах життєдіяльності? Ілюстрація фізичного досліду. Чому розчин кухонної солі проводить електричний струм?
Ціннісне завдання. У чому суть українського прислів’я «Нема долі без солі»? Вправа для переконаності. Водно-сольовий обмін
ганізмі людини.
Результат
• аналізує
Очікувані результати навчання (Учень / учениця...)
• аналізує результати: ДОСЛІДЖЕННЯ про властивості
• виявляє ставлення на рівні переконаності та обґрунтовує: твердження про зв’язок між водно-сольовим обміном та
Саморозвиток
Самонавчання. Пізнавальне завдання. Правило-орієнтир «Структурування».
Самооцінювання. Продуктивно-конструктивне завдання. Додаткові речовини.
Біологія + Видатні жінки-науковиці Марія Склодовська-Кюрі (1867–1934) — єдина жінка
§
4.5. ВІТАМІНИ
Новини зі світу науки. Всесвітня організація охорони здоров’я (ВООЗ) вирішила дослідити стан справ з використанням вітамінних препаратів у світі. Вердикт спеціалістів був таким: свіжі овочі та фрукти набагато корисніші, аніж вітамінні препарати. То краще ківі чи
пігулки аскорбінової кислоти? Чому?
ЗМІСТ
Які особливості та значення вітамінів?
Вітаміни (лат. vitae — життя та amin — аміни) мають низку загальних біологічних особливостей, а саме: виявляють високу активність у малих кількостях, не відкладаються
синтезуються в організмі. Надходять вітаміни в
у складі харчових продуктів рослинного і тваринного походження. Деякі вітаміни синтезуються бактеріями мікробіоти товстої кишки (вітаміни групи В і K), і лише окремі з них — організмом людини (вітамін D3, що виробляється шкірою). Потреба організму у вітамінах може змінюватися, наприклад, зростає при активній діяльності, під час захворювань. За участю вітамінів відбуваються процеси обміну речовин та енергії (вітаміни В входять до складу важливих метаболічних ферментів), здійснюється захист від окиснення важливих речовин у клітинах (вітаміни С, А, Е є антиоксидантами), вони є чинниками ендокринної регуляції (вітаміни D2, D3), зсідання крові (вітамін K). Невідповідність у потребах вітамінів призводить до порушень: гіповітамінози (за нестачі вітамінів), авітамінози (за повної відсутності вітамінів) і гіпервітамінози (за надлишку вітамінів).
Біологія + Історія Під час експедиції Ж. Картьє у 1534 році, яка досліджувала береги Канади, весь її склад захворів на скорбут. Частині екіпажу вдалося врятуватись настоєм соснової хвої. Про який вітамін йдеться?
Які є вітаміни?
Вітаміни
ферментів, можуть спричинювати гіповітамінози. До групи водорозчинних вітамінів належать вітаміни В1, B2, B3, В5, B6, B9, B12, С та ін. Жиророзчинні вітаміни нерозчинні у воді, але розчиняються в органічних розчинниках, термостійкі й нечутливі до змін рН середовища. Можуть накопичуватися в організмі та спричинювати гіпервітамінози. До жиророзчинних належать вітаміни А, D, Е, K. Таблиця 9. КОРОТКІ ВІДОМОСТІ ПРО ОСНОВНІ
Назва
D
(кальцифероли, антирахітний)
А
(ретинол, антиксерофтальмічний)
В1
(тіамін, антиневритний)
С
(аскорбінова кислота, антицинготний)
Джерела надходження Функції Порушення
Жиророзчинні вітаміни
Риб’ячий жир, яйця, печінка, масло
Морква, шпинат, червоний перець
Участь у гуморальній регуляції обміну Ca та P
Впливає на ріст, опірність організму, обмін білків, зір, антиоксидантна дія
Водорозчинні вітаміни
Вівсяна крупа, чорний хліб, яйця, печінка
Чорна смородина, шипшина, лимон
У складі ферментів участь в обміні речовин
Участь у синтезі колагену, засвоєнні заліза, антиоксидантна дія
Які порушення виникають при нестачі вітамінів?
Рахіт (порушення розвитку кісток)
Куряча сліпота (порушення зору)
Бері-бері (ураження нервової системи)
Цинга (скорбут) (порушення синтезу білків)
Вітамінна недостатність (гіповітаміноз) — стан організму, зумовлений недостатньою кількістю в організмі окремого вітаміну або комплексу вітамінів. Бері-бері («кайданкова хвороба») — захворювання внаслідок нестачі вітаміну В1 (тіаміну), необхідного для нормального обміну жирів та вуглеводів. Уражає нервову систему людини, що призводить до слабкості, втрати апетиту, підвищеної збудливості та паралічів.
Цинга (скорбут) — захворювання внаслідок нестачі вітаміну С (аскорбінова кислота), необхідного для нормального обміну білків, нейросекреції, захисту від окиснення. Для авітамі2нозу характерні порушення в центральній нервовій системі (неврастенія) і зміни на шкірі та слизових
організму
Основними групами вітамінів є водо- та жиророзчинні.
Недостатнє забезпечення організму вітамінами (гіповітамінози) зумовлюється їх відсутністю в їжі або порушенням обміну.
Діяльність Рівень «ОЦІНЮЄМО»
Навчальне завдання. Чим вітаміни відрізняються від інших додаткових речовин? Оцінювання знань за допомогою схеми. ВІТАМІНИ. Розвивальне завдання. Чому щодня потрібно вживати свіжі фрукти та овочі? Дослідницька вправа. Водорозчинні та жиророзчинні вітаміни, джерела їх надходження. Ціннісне завдання. Чому у своїй практиці лікарі частіше зустрічаються з проблемами надлишку вітамінів, ніж з їх нестачею? Вправа для вибірковості. Наслідки надмірного вживання вітамінів у складі вітамінних препаратів. Результат
• оцінює знання: про ВІТАМІНИ
• оцінює результати:
дини
• виявляє ставлення на рівні вибірковості
з позиції БЕЗПЕКИ Саморозвиток
Самонавчання. Ціннісно-емоційне завдання. Топ-5 «Мої улюблені страви».
Самооцінювання. Продуктивно-творче завдання. Тест. Вітаміни. Біологія + Анаграма Так виглядають під поляризаційним мікроскопом кристали вітамінів В6 та плоди пітайї (пітахайї), що за
З власного досвіду! Один із засновників гігієни харчування, відомий арабський лікар Авіценна (Абу Алі Хусейн Ібн Абдаллах Ібн Сіна) (980–1037) перший розробив правила раціонального харчування. Його рекомендації щодо різноманітності їжі та помірної кількості її споживання важливі й тепер. Наводжу приклади рекомендацій розумного харчування зі свого досвіду.
ЗМІСТ
Які чинники впливають на обмін речовин та харчування людини? Усю різноманітність чинників впливу на обмін речовин та харчування можна об’єднати у дві групи: природні (фізичні, хімічні, біологічні) та соціальні (суспільний спосіб життя, наука, культура). Зовнішніми природними чинниками є впливи світла, тепла, вітру, вологості, вірусів, бактерій, рослин, грибів і тварин, а внутрішніми — спадковість, стать, тип статури тіла, вік, нервові й ендокринні впливи регуляторних систем. Так, тривалий
ни низької
відносно маси тіла. Високий рівень обміну речовин у дитячому
ростом тканин. У похилому віці поряд зі зниженням
харчування, під час якого в організм із харчовими продуктами надходять усі поживні речовини, вітаміни та мінеральні солі в кількостях, необхідних для нормальної життєдіяльності. Основна закономірність такого харчування — це дотримання енергетичного балансу організму, тобто кількість енергії, яка надходить в організм, має дорівнювати кількості енергії, яка витрачається в процесі життєдіяльності. На основі цього наукового положення сформульовано ряд принципів організації правильного харчування:
• Для організації харчового раціону треба забезпечувати збалансованість їжі (згідно з оновленими рекомендаціями ВООЗ співвідношення білків, жирів та вуглеводів у відсотках — 15 : 30 : 55 %) (принцип збалансованості їжі).
• Енергетична й харчова цінність їжі має забезпечувати потреби організму. Неодмінно слід вживати
які
вітаміни, пектинові речовини, клітковину (не менше 400 г на добу) (принцип повноцінності харчування).
• Склад їжі та властивості її компонентів повинні відповідати індивідуальним потребам організму (принцип індивідуальності).
• Їжа має розподілятися упродовж дня. Харчуватися краще 4 рази на день, інтервал між споживанням їжі не повинен перевищувати 6 год. Перший сніданок — 25 % добового раціону, обід — 35 %, підвечірок — 20 % і вечеря — 20 % (принцип правильного розпорядку).
• Їжа має бути смачною, із властивим ароматом, споживатися з гарним настроєм в естетичних умовах (принцип естетичного задоволення).
• Їжа має бути нешкідливою. Не можна харчуватися «швидкою» їжею, уживати напої та продукти зі штучними барвниками й ароматизаторами (принцип безпеки харчування).
• Їжа має запобігати захворюванням та зміцнювати імунітет. Ще Гіппократ стверджував, що їжа людини має бути її ліками (принцип профілактичної спрямованості їжі).
Які науки вивчають організацію харчування людини?
Фізіологія харчування
цієї важливої в сучасних умовах
характеру взаємозв’язків між харчуванням, здоров’ям і захворюваннями. Ось кілька перспективних технологій, які формують майбутнє науки про харчування: персоналізоване харчування, функціональне харчування та суперїжа, стале виробництво харчових продуктів, технології 3D-друку харчових продуктів, альтернативні джерела їжі (культивоване м’ясо, продукти з комах тощо).
Дієтологія — наука про фізіологічні, біохімічні й біофізичні основи харчування здорової людини та під час захворювань. Спеціалістидієтологи розробляють технології приготування їжі, лікувальні дієти, беруть участь в дослідженнях правильного харчування.
Коротко
Діяльність
харчування людини? Моделювання змісту теми. ОБМІН РЕЧОВИН ТА ЕНЕРГІЇ. ХАРЧУВАННЯ
Розвивальне завдання. Яке значення
наукові дослідження харчування людини? Інфографіка. Наукові дослідження харчування.
Ціннісне завдання. Проєкт на одну із тем щодо
власних дій у природі з позицій безпеки. Результат
Очікувані результати навчання (Учень / учениця...)
• узагальнює знання та формулює висновок: про вплив чинників середовища на ОБМІН
• застосовує навички ДОСЛІДЖЕННЯ та конструює:
Праця — батько голоду, дід травлення, прадід здоров’я. Моріц-Готліб Сафір (1795–1858) — німецький письменник, відомий своїм почуттям гумору
§ 5.1. ТРАВЛЕННЯ ЛЮДИНИ
Виявляється! Всесвітній день здоров’я травної системи, або Всесвітній день здорового травлення (World Digestive Health Day), відзначається щороку 29 травня з метою підвищення поінформованості людей про важливість знань щодо роботи шлунково-кишкового тракту для зміцнення та збереження здоров’я. Девізом кампанії у 2024 році був: «Здоров’я вашого травлення: зробіть це пріоритетом».
ЗМІСТ
Яке значення має травлення для організму людини? Харчові продукти містять дуже багато складних сполук, які через свою велику молекулярну масу не можуть навіть надійти в кров. І саме завдяки травленню ці компоненти їжі перетворюються у прості сполуки та стають придатними для засвоєння.
Основні процеси травлення
Зміна їжі під час травлення відбувається завдяки фізичним і хімічним процесам. Подрібнення, розчинення, набрякання забезпечують фізичну обробку їжі, оскільки склад поживних сполук при цьому не змінюються. А ось хімічні реакції, що відбуваються за допомогою ферментів у травній системі, ведуть до перетворення одних речовин на інші. Прості сполуки, що утворюються при цьому, всмоктуються в кров чи лімфу і транспортуються до клітин. Травлення в людини внутрішньоорганізмове. У новонароджених упродовж 4–5 місяців здійснюється завдяки ферментам материнського молока (автолітичне травлення). У дорослих
1. Фізична обробка їжі
2. Хімічні перетворення їжі
3. Всмоктування їжі
4. Переміщення їжі
5. Видалення решток
Які особливості будови травної системи людини? У людини травний тракт має вигляд звивистої трубки довжиною до 8–10 м. Його

призначення — фізична та хімічна обробка їжі, всмоктування поживних речовин, переміщення їжі та видалення решток. У складі тракту — ротова порожнина (1), глотка (2), стравохід (3), шлунок (4), тонка кишка (5), товста кишка (6), анальний отвір (7). Діяльність травного каналу тісно пов’язана з будовою його стінок. Зовнішня оболонка утворена сполучною тканиною, що захищає травний канал від різних впливів. Середня оболонка формується з двох чи трьох шарів гладких м’язів. Скорочення цих м’язів забезпечує просування і перемішування їжі. На межі між відділами травного каналу є особливі колові м’язи-затискачі (сфінктери) і клапани. Ці утвори регулюють переміщення їжі та забезпечують її рух тільки в одному напрямку. Внутрішня оболонка утворена підслизовим і слизовим прошарками. Підслизова основа містить кровоносні судини, лімфатичні вузлики, нервові закінчення, формує складки травного каналу для збільшення поверхні травлення, а слизова — має залозисті клітини і забезпечує секрецію.
Травні залози мають протоки, через які в порожнини травного каналу потрапляють секрети, необхідні для травлення. До великих травних залоз належать слинні, підшлункова, печінка, до дрібних — шлункові, кишкові.
Хвилинка логіки Переставляю склади
органів
системи:
2.
3.
4.
5.
6.
нами. Завдяки
і лімфу надходять вода, прості поживні речовини, розчинні солі, вітаміни тощо. Захисна функція полягає в знешкодженні шкідливих мікроорганізмів та сполук. У глотці є мигдалики, у стінках травного тракту — лімфовузли. Захисним бар’єром для чужорідного матеріалу є печінка, яка знешкоджує кров, що відтікає від шлунку, тонкої і товстої кишки. Видільна функція травної системи пов’язана з виведенням з організму неперетравлених решток і деяких продуктів обміну речовин.
Регуляторна функція здійснюється завдяки гормонам (наприклад, гастрин впливає на виділення шлункового соку), участі печінки
теплорегуляції організму, апендикса — в імунній регуляції.
Коротко про головне
ТРАВЛЕННЯ
Діяльність
Навчальне завдання. У чому полягає суть травлення? Опорна схема «Ієрархія». ТРАВЛЕННЯ.
Розвивальне завдання. Чи взаємопов’язана травна система людини з іншими фізіологічними системами? Інформаційно-комунікаційна вправа. Травна система людини.
Ціннісне завдання. Чи залежить добробут від травлення? Вправа для визначення. Що таке добробут? Результат Очікувані результати
• усвідомлює пізнавальну
Заговори, щоб я тебе побачив. Сократ (470–399 до н. е.) — давньогрецький філософ
§ 5.2. РОТОВА ПОРОЖНИНА
Усвідомлюємо! Хліб — продукт, багатий на вуглеводи (крохмаль) та білки (клейковина). Особливо корисним є чорний хліб із житнього борошна. У ньому міститься клітковина, що посилює рухи в кишках, видаляє з організму шкідливі продукти обміну. А чому в ротовій порожнині з’являється солодкий смак, якщо декілька хвилин жувати чорний хліб?
ЗМІСТ Яка будова та функції ротової порожнини?
Спереду ротова порожнина обмежена губами, з боків — щоками, зверху — піднебінням, а дно утворене діафрагмою рота. У ротовій порожнині розташовані зуби, слинні залози та язик.
Зуби — органи, утворені зубними тканинами (емаль, дентин і пульпа зубів): вони подрібнюють і перетирають їжу. У дорослої людини може бути 32 зуби, розташованих у комірках верхньої та нижньої щелеп. За їх формою і функціями зуби поділяють на різці (8), ікла (4), малі кутні (8) та великі кутні (12) зуби. Треті великі кутні зуби називаються зубами мудрості. У кожному зубі розрізняють три відділи: коронку, шийку і корінь. Зуб складається з двох частин: твердої зовнішньої (емаль, дентин і цемент) та м’якої внутрішньої (пульпа). Для людини властиві дві зміни зубів: молочні зуби (їх 20, починають прорізуватися з 6 місяців і закінчують формуватися у 2 роки) і постійні зуби (починають прорізуватися у 5–6 років і закінчують у 16–18).
Слинні залози структури ротової порожнини, які утворюють слину. Великі (привушні, підщелепні та під’язикові) та дрібні (губні, щічні, піднебінні та язикові) слинні залози виконують секреторну функцію.
• фізична
механічне подрібнення їжі;
• переміщення їжі — за допомогою язика їжа змішується зі слиною, склеюється, формуються харчові грудочки, які ковтаються;
• знезаражування їжі — за допомогою лізоциму слини, мигдаликів знешкоджуються мікроорганізми;
• всмоктування компонентів їжі — у ротовій порожнині всмоктуються вода, деякі ліки та ін.
Біологія + Психологія Чому геніальний Альберт Ейнштейн показав світові свій язик?
Яке значення для травлення має слина?
Слина — секрет слинних залоз у вигляді безбарвного розчину неорганічних та органічних сполук. До складу слини входять вода (близько 99 %), йони солей, ферменти амілази, захисні білки, складні вуглеводи (муцин) тощо.
Різноманітність сполук у складі слини зумовлює різні її функції. Вода розчиняє поживні речовини. Ферменти птіалін і мальтаза розщеплюють вуглеводи їжі до глюкози, яка й визначає її солодкий смак. Завдяки муцину формуються харчові грудочки і полегшується ковтання. Секрет слинних залоз містить лізоцим та імуноглобуліни, які знешкоджують шкідливі мікроорганізми. Завдяки органічним сполукам слина утворює на поверхні зубів плівку, що перешкоджає дії кислот на емаль.
За добу в людини виділяється від 1,0 до 1,5 л слини. Виділення слини зменшується в стресових ситуаціях, у разі переляків і в невели-
кій кількості під час сну. Посилене виділення слини відбувається під дією нюхових і смакових чинників, а також під час жування. Регуляція слиновиділення здійснюється рефлекторно. Центр слиновиділення розташований у довгастому мозку. Від нього до слинних залоз надходять імпульси, що можуть пригнічувати або стимулювати їх діяльність. Слиновидільні рефлекси бувають безумовно-рефлекторними (під час подразнення їжею рецепторів язика) і умовно-рефлекторними (на запах та вигляд їжі).
Як відбувається ковтання і переміщення харчових
вистелена багатошаровим епітелієм, у якому є
дрібні слизові залози. Секрет цих залоз полегшує просування їжі. Підслизова основа утворює поздовжні складки для переміщення рідини вздовж стінок. Середня м’язова оболонка стравоходу складається з поздовжнього і колового
шарів. Зовнішня сполучнотканинна оболонка відмежовує і захищає стравохід від механічного впливу навколишніх органів. У верхній та нижній частинах стравоходу є м’язи-сфінктери, що забезпечують переміщення їжі стравоходом
лише в одному напрямку. Біологія
назва якого Cavitas oris («кавітас оріс»). Коротко про головне
солодкий смак, якщо декілька хвилин жувати чорний
РАТОРНА РОБОТА 5. Дія ферментів слини на крохмаль.
Ціннісне завдання. Чи залежить добробут
ня в ротовій порожнині?
та її добробут.
Результат
Новини науки! На створення апарата «Штучний шлунок» у фахівців Науково-дослідного інституту в графстві Норфолк (Англія) пішло близько 10 років. «Багато хто сприймає шлунок як мішок, заповнений рідинами і ферментами, але це — дуже складний орган…», — заявив
Мартін Стокс, представник компанії «Плант біосайенсіс». У чому ж полягає складність шлунка і процесів, що
в ньому відбуваються?
ЗМІСТ
Яка будова та функції шлунка?
Шлунок розташований під діафрагмою в лівій частині живота і
вигляд вигнутого мішка, у якому розрізняють кардіальну частину з м’язом-затискачем, дно шлунка, тіло шлунка, вихідну воротарну частину з м’язом-затискачем. Стінки шлунка складаються з трьох оболонок: зовнішньої серозної, середньої м’язової та внутрішньої слизової. Серозна оболонка має
сполучнотканинну основу з еластичними волокнами, через яку до шлунка потрапляють судини та нерви. На відміну від інших відділів травного каналу, м’язова
оболонка шлунка має три шари гладких м’язів (поздовжній, коловий і косий), які здійснюють
перемішування і переміщення їжі. Складніше організованою є
і внутрішня оболонка шлунка. Її підслизова основа утворює численні складки, а слизова оболонка містить різноманітні шлункові за-
їжі — за допомогою м’язів шлунка здійснюється:
змішування їжі зі шлунковим соком; б) періодичне пропускання вмісту у дванадцятипалу кишку завдяки хвилеподібним скороченням стінок та вихідному м’язу-затискачу (евакуація хімусу). За наявності їжі в шлунку скорочення стінок виникають кожні 20–26 с;
• знезаражування їжі — за допомогою хлоридної кислоти і лімфатичних вузликів знешкоджуються мікроорганізми;
• всмоктування компонентів їжі — у шлунку всмоктуються вода, спирти, деякі ліки, гормони та ін.
Біологія + Латина Перекладаю вислів «Plenus venter non studet libentеr».
Яке значення для травлення має шлунковий сік?
Шлунковий сік — прозора рідина, яку виробляють залози слизової оболонки шлунка. Цей травний секрет має кислу реакцію (рН = 1–2,5), але на цей показник впливають їжа,
потрясіння, деякі
соку є печія. За добу в людини виділяється від 0,5 до 2 літрів шлункового соку. Його виробляють травні залози
діляють слиз (основою його є муцин); другого
хлоридну кислоту (HCl); третього — ферменти шлункового соку (пепсин, ліпаза молока, лактаза). Слиз формує шар, що захищає стінки шлунка від дії хлоридної кислоти та ферментів. Цікаво, що слизова має речовину (чинник Касла), яка сприяє засвоєнню вітаміну B12. Відсутність цього чинника у шлунковому соку може спричинювати розвиток залізодефіцитної анемії. Хлоридна кислота активує ферменти шлункового соку, частково руйнує білки для швидшого розщеплення, вбиває хвороботворні бактерії, які потрапили з їжею, припиняє гнильні процеси. Фермент пепсин сприяє розщепленню молекул білків на простіші сполуки, а ліпаза розщеплює жири молока. У багатьох людей немає достатньої кількості лактази — ферменту, який розщеплює молочний
під час їжі, страх, біль, уживання перед сніданком,
чи
чипсів, сухариків тощо. Гуморальну регуляція шлункового соковиділення здійснюють їжа та біологічно активні речовини. Збуджують секрецію гастрин (гормон вихідної частини шлунка), прянощі, сіль, відвари м’яса і овочів, гальмують — секретин (гормон слизової оболонки тонкої кишки), жири, кислоти.
Біологія + Здоров’я Чому не можна їсти
з телефоном, планшетом чи ноутбуком?
Коротко про головне
розширена частина травного каналу
Діяльність
Навчальне
ку?
Пояснення за схемою «Функціонування». ШЛУНОК.
Розвивальне завдання. Як довести взаємозв’язок травлення у шлунку з іншими процесами життєдіяльності? Інформаційно-комунікаційна вправа. Будова шлунка.
Ціннісне завдання. «Шлунок першим приймає навантаження від їжі та є головним органом формування здоров’я» (Авіценна). Чи є зв’язок між роботою шлунка та добробутом людини? Вправа для реагування. Здоров’я і функціонування шлунку. Результат
•
Пояснюємо! У гіпоталамусі
головного мозку є харчові центри
і насичення. Коли поживних речовин в організмі не вистачає, виникає відчуття голоду і бажання їсти, а коли цих сполук достатньо — формується відчуття насичення. А яким чином тонка кишка впливає на відчуття голоду і насичення, якщо вона розташована «далеко» від головного мозку?
ЗМІСТ Яка будова
Тонка кишка — важливий відділ травного каналу, у якому
ваються процеси остаточного травлення
три частини: дванадцятипалу,
тонкої
поздовжнього і колового. Слизова оболонка утворена одношаровим епітелієм, що має здатність до швидкого поділу та оновлення клітин. Ще однією особливістю оболонки є наявність у ній численних колових складок, кишкових залоз та кишкових ворсинок. Це пристосування для збільшення поверхні оболонки, що впливає на швидкість всмоктування поживних речовин. У тонку кишку впадають протоки печінки та підшлункової залози.
1)
2) фізична обробка їжі — за допомогою жовчі відбувається подрібнення жирів на краплинки (емульгація жирів) для перетравлення з використанням ферментів;
3) переміщення їжі — хвилеподібні скорочення м’язів стінок (перистальтика) здійснюють переміщення хімусу, а їх маятникоподібні скорочення забезпечують просування хімусу до товстої кишки;
4) знезаражування їжі за участю великої кількості лімфатичних вузликів у стінках та жовчі з її речовинами, які пригнічують життєдіяльність мікроорганізмів;
5) всмоктування — за допомогою ворсинок відбувається пристінкове травлення та надходження амінокислот і моносахаридів у кров, жирних кислот — у лімфу.
Біологія + Фразеологія «А поки що в Корнія кишки грають і настрій у нього явно підупадає» (О. Гончар). Яке біологічне підґрунтя фразеологізму «кишки грають марш»?
Яка роль печінки у травленні?
Печінка — найбільша травна залоза, розміщена в правому підребер’ї під діафрагмою. Ззовні печінка вкрита капсулою зі сполучної тканини. У печінці розрізняють праву (велику) і ліву (малу) частки. Одиницею будови є печінкові частки, які
клітин — гепатоцитів. На нижній поверхні розташований жовчний міхур з міхуровою протокою. Основними функціями печінки є такі: 1) секреторна — виробляє жовч, яка депонується в жовчному міхурі. Під дією жовчі жири розпадаються на дрібненькі краплинки, активуються ферменти, посилюється рухова активність кишок, всмоктуються жиророзчинні
Яка роль підшлункової залози у травленні?
Підшлункова залоза — велика травна залоза, протока якої відкривається у дванадцятипалу кишку. У залозі розрізняють головку, тіло та хвіст. Залоза вкрита тонкою капсулою, складається з часток і розташовується позаду шлунка біля задньої стінки живота. Підшлункова залоза виділяє у дванадцятипалу кишку безбарвну рідину лужної реакції — підшлунковий сік. Найважливішими компонентами соку є ферменти (трипсин, ліпази, амілази), які розщеплюють усі поживні речовини. За добу в людини виділяється близько 1,5–2 літри соку. Біологія + Голод Що таке грелін?
Діяльність
Навчальне завдання. Які особливості процесів травлення в тонкій кишці? Самостійне перетворення за схемою «Функціонування». ТОНКА КИШКА.
Розвивальне завдання. Завдяки чому здійснюється всмоктування продуктів розщеплення поживних речовин у тонкій кишці? Практична вправа. Будова і функції ворсинки.
Ціннісне завдання. Як жовч впливає на травлення й добробут людини? Вправа для формування переконаності. Функції жовчі. Результат
Оцінюємо! Людина здавна використовувала такі продукти харчування, як кисле молоко, кефір, йогурт, кумис тощо. Сьогодні для профілактики розладів травлення фахівці рекомендують біо-
йогурти, біокефіри з «живими» лактобактеріями та біфідобактеріями. Які властивості цих бактерій зумовлюють корисний ефект молочнокислих
продуктів?
ЗМІСТ
ТОВСТА
участю м’язової оболонки та м’язів-сфінктерів;
4) всмоктування вмісту — у
шкідливі
Біологія + Англійська мова “The Common Fund’s Human Microbiome Project (HMP) developed research resources to enable the study of the microbial communities that live in and on our bodies and the roles they play in human health and disease”. What is “Human Microbiome Project (HMP)”?
одноклітинні еукаріоти), які займають
ня. Мешканці мікробіому взаємопов’язані
позитивними, негативними, нейтральними біотичними зв’язками та утворюють динамічну мікроекосистему, що має вирішальне значення для організму хазяїна. Мікробіом має найтісніші взаємини і з найрізноманітнішими молекулами (метаболіти, реліктова ДНК, жири тощо), неклітинними формами життя (віруси, бактеріофаги), умовами навколишнього середовища, що є ніби «театром їх діяльності». У цьому випадку уже йдеться про мікробіоту організмів. Заселення мікробами людського організму починається ще під час пологів, а далі відбувається під впливом харчування, способу життя, екологічних умов довкілля тощо. Кількість мікроорганізмів у травному тракті людини сягає близько 1014 і майже в десять разів перевищує кількість власних клітин організму. Найбільший і найрізноманітніший за видовим біорізноманіттям мікробіом товстої кишки. У його складі близько 96% усіх видів мікробіому травного каналу. Це — біфідо-, лакто-, целюлозобактерії, метаногенні археї, дріжджоподібні гриби. Значна роль у мікробіомі товстої кишки належить кишковій паличці. Мешканці мікробіому товстої кишки беруть участь у процесах травлення, синтезі вітамінів В і К, обміні жирів, сприяють функціям імунної системи тощо. Багато мікроорганізмів мікробіому здатні виділяти спирти, кислоти та лізоцим, завдяки чому не відбувається розвиток гнильних бактерій. Навіть більше, корисні бактерії нейтралізують виділення отруйних речовин-токсинів хвороботворними бактеріями. Під впливом різних несприятливих чинників, що послаблюють захисні механізми організму, настають зрушення у складі мікробіому та пригнічуються його функції. Цей стан, що супроводжується проявами хвороби (діареєю, метеоризмом тощо), діагностується як дисбактеріоз.
Біологія + Наука З якими харчовими продуктами мікроорганізми потрапляють у травний канал людини?
Як відбувається регуляція травлення в товстій кишці?
Нейрогуморальна система регуляції товстої кишки тісно пов’язана з розташованими вище ділянками травного тракту. Тонус стінок товстої кишки підвищується
а гальмується — симпатичним відділами вегетативної нервової
у товстій кишці, спричинює порушення, яке називають синдромом надмірного бактеріального росту (СНБР). Це може стати поштовхом до порушення процесів травлення та асиміляції, особливо що стосуються жирів та вітаміну В12, а також виникнення безлічі симптомів, та призвести до безлічі симптомів, включаючи діарею, здуття, метеоризм, біль у животі та посилене газоутворення.
Біологія + Харчування Цей фрукт називають їжею богів — настільки він смачний і корисний. Його вживання покращує моторику кишки, а також зір, пам’ять, стан шкіри. Знижує артеріальний тиск, нормалізує роботу серця і щитоподібної залози за рахунок вмісту йоду. Називаю його. Коротко
кишці? Оцінювання за схемою «Функціонування». ТОВСТА КИШКА. Розвивальне завдання. Яке значення товстої кишки в обміні речовин та перетворенні енергії в організмі людини? Інформаційнокомунікаційна вправа. Будова та функції товстої кишки.
Ціннісне завдання. Яке значення «корисних» бактерій товстої кишки? Вправа для формування вибірковості. Целюлозобактерії
Вступна вправа! Увідповіднюю організми (1–8) з їх назвами (И–Т) та отримую назву гормону, що стимулює підшлункову секрецію: Р — вовчі ягоди звичайні; И — дурман звичайний; Н
поганка; Е1 — мухомор пантерний; Е2 — аскарида людська;
спадковою інформацією, закодованою
організму. Гени визначають синтез травних ферментів у клітинах, утворення нових
тин та самооновлення тканин, узгоджену діяльність
травлення та ін. Усі ці прояви мають індивідуальний характер, оскільки генотип кожної людини неповторний. На рівні організму травлення, як і
інші процеси життєдіяльності, регулюється
та імунною системами. Нервова регуляція процесів травлення відбувається безумовно- та умовно-рефлекторно. Безумовно-рефлекторна регуляція травлення здійснюється з допомогою нервових центрів довгастого мозку (центри слиновиділення, ковтання, шлункового соковиділення). В умовнорефлекторній регуляції процесів слиновиділення, ковтання, шлункового соковиділення велику роль відіграє кора півкуль головного мозку. Наприклад, на слиновиділення впливають запах їжі, її гарний вигляд, звуки на кухні тощо, які діють через смакові кіркові центри. Гуморальна регуляція здійснюється залозами внутрішньої секреції (гіпофізом, наднирковими
соку, жовчі, кишкового соку. Зовнішні чинники відрізняються різноманітністю сприятливих та несприятливих впливів. Природними є абіотичні (світло, атмосферний тиск, температура середовища, склад повітря) та біотичні (симбіотичні взаємозв’язки з вірусами, бактеріями, археями, харчові продукти рослинного та тваринного походження, отруйні рослини і тварини тощо) чинники. Соціальні чинники пов’язані з певним способом життя, традиціями харчування, доступністю медичних послуг, розумінням людиною своїх індивідуальних особливостей тощо.
Біологія + Фізика Назвіть метод дослідження органів травлення в людини за допомогою фізичного силового поля та радіохвиль:
А ендоскопія
Б зондування
В рентгенографія
Г магнітно-резонансна томографія
Які причини захворювань органів травлення?
Хвороби органів травлення — це порушення

У медицині, згідно з Міжнародною класифікацією хвороб Десятого перегляду, розробленою Всесвітньою організацією охорони здоров’я (ВООЗ), хвороби органів травлення поділяються на групи: 1) хвороби порожнини рота, слинних залоз та щелеп (карієс, пародонтоз, стоматит); 2) хвороби стравоходу, шлунка та дванадцятипалої кишки (гастрит, виразка шлунка, виразка дванадцятипалої кишки); 3) хвороби апендикса (апендицит); 4) грижi (пупкова грижа, грижа черевної стінки); 5) неiнфекцiйні хвороби кишок (ентерити — запалення слизової оболонки тонкої кишки, колiти — запалення слизової оболонки товстої кишки); 6) іншi хвороби кишок (закреп, заворот кишок); 7) хвороби черевної порожнини (перитоніти — запалення очеревини); 8) хвороби печiнки (цироз); 9) хвороби жовчного мiхура та пiдшлункової залози (жовчнокам’яна хвороба, холецистит, панкреатит). Травна система людини страждає від багатьох чинників, що супроводжують сучасне життя: несприятливі екологічні впливи, незбалансоване харчування, гіподинамія, стреси, надмірні навантаження, відсутність відпочинку тощо. Хвороби органів травлення виникають
причин: споживання несвіжих чи заражених продуктів (наприклад, отруєних токсинами сальмонели), отруйних рослин (дурман, блекота) чи грибів (бліда поганка), використання води, забрудненої препаратами побутової хімії чи хімічними препаратами боротьби зі шкідниками. Глистяні хвороби спричинені паразитичними червами (гельмінтами), яких найбільше серед плоских червів (печінковий сисун, ціп’як свинячий, ехінокок) та нематод (аскариди, гострики, трихінела). Зараження гельмінтами відбувається під час споживання зараженого личинками чи фінами м’яса та сирої води, немитих овочів, ягід, фруктів, через забруднені руки. Паразити знижують імунітет, спричиняють алергічні реакції. Продукти обміну речовин гельмінтів впливають на нервову систему, органи кровотворення, змінюють склад мікробіоти кишки. У хворих знижується апетит, відбуваються затримка росту, відставання у розумовому розвитку, спостерігаються швидка втома, головний біль, порушення сну тощо.
Основними заходами профілактики глистяних хвороб є ветеринарний контроль якості м’яса, очищення води, захист водойм від забруднення нечистотами, санітарний контроль за сміттєзвалищами, систематичні ветеринарні огляди хворих тварин і людей, знищення проміжних хазяїв тощо. Особливе значення мають дотримання правил особистої гігієни, уживання митих овочів і фруктів, термічна обробка м’яса та риби, правильне зберігання продуктів харчування. Кишкові інфекції — захворювання, спричинені токсичною дією мікроорганізмів, що потрапили до травного тракту. Це дизентерія, холера, сальмонельоз, ботулізм та ін. Найпоширенішими ознаками таких отруєнь є проноси, лихоманка, озноб, біль у животі, головний біль, запаморочення. Успіх боротьби з кишковими інфекціями залежить від дотримання санітарної культури. Адже з давніх-давен кишкові інфекції називають хворобами брудних рук. Звідси випливає просте правило: після повернення додому з роботи чи з прогулянки, перед прийомами їжі, після ігор із тваринами, відвідування туалету вимийте руки з милом. Уживайте лише кип’ячені молоко та воду, утримуйтеся від купівлі харчових продуктів, що реалізуються з порушенням температурного режиму зберігання, стежте за терміном споживання продуктів. Цікаво! У тілі людини

рівнях. Так, відкриття гормону греліну (його ще
«гормоном голоду») є важливим для розуміння розумової адаптації до змін навколишнього середовища
Гастроентерологія — розділ медицини, що вивчає будову і функції травної системи людини в умовах норми та патології, причини і механізми розвитку різних захворювань органів травлення та розробляє нові методи діагностики, лікування і профілактики цих захворювань. Широко застосовуються в діагностиці захворювань органів травлення ультразвукові дослідження (УЗД), засновані на принципах ехолокації, метод ендоскопії (уведення ендоскопа у порожнину шлунка і дванадцятипалої кишки для візуального огляду), рентгенографічний метод. Нові можливості для вивчення органів травлення з’явилися з розвитком радіоелектроніки та застосуванням капсул з мінікамерами для отримання знімків.
Біологія + Хімія Рентгенологічне дослідження травного каналу здійснюється за допомогою методу штучних контрастів. Для цього піддослідному пропонується «контрастний наповнювач» — суспензія Барію сульфату. Оберіть формулу.
А BaSO4 Б NaSO3
В CaCO3 Г KPO4
Діяльність
Навчальне завдання. Які особливості травлення людини? Моделювання змісту теми. ТРАВЛЕННЯ ЛЮДИНИ.
Розвивальне завдання. Чи залежить травлення людини від зовнішніх впливів? Конструювання онлайн-тестів (у сервісі Online Test Pad) на тему: «Вплив екологічних чинників на травлення людини». Ціннісне завдання. Проєкт на одну із тем про вплив досягнень
Тема 6. ДИХАННЯ
Увесь спадок життя — знай про це — дихання.
Гафіз Ширазький (1325–1390) —
перський і таджицький поет
§ 6.1. ДИХАННЯ
«Змінюючи дихання, ми можемо змінити свій емоційний стан, те, як ми думаємо і як ми взаємодіємо зі світом», — говорять психологи. Чи погоджуєтесь із цим твердженням?
ЗМІСТ
Яке основне значення дихання для організму людини?
Дихання, разом із харчуванням і травленням, є етапом обміну речовин, енергії та інформації, на якому організм людини отримує всі необхідні речовини. Харчові продукти надходять із їжею, складні поживні сполуки розщеплюються та всмоктуються, а кров і лімфа доставляють їх до клітин. А що далі? Клітинам для життєдіяльності потрібна ЕНЕРГІЯ. І ось саме на цій стадії виявляється суть дихання, основна роль якого полягає у вивільненні енергії поживних речовин за допомогою кисню. Цілісний процес дихання умовно поділяють
дихання, транспортування газів
овищем. Завдяки фізичним процесам на цьому
отримує кисень і позбавляється від CO2.
вання газів в організмі.
з гемоглобіном крові й транспортуються до
Внутрішнє дихання відбувається вже в клітинах.
до води й вуглекислого газу. При цьому й вивільняється така необхідна для життєдіяльності організму ЕНЕРГІЯ. І саме
цього потрібен КИСЕНЬ, що бере участь у хімічних реакціях окиснення.
Які процеси є основою дихання?
Як ви зрозуміли, дихання є фізіологічною функцією, основу якої становлять фізичні
кисню (анаеробне дихання) або
(аеробне дихання), що супроводжуються вивільненням енергії. Кінцевими продуктами кисневого окиснення є вода і вуглекислий газ. Енергія, що вивільняється при окисненні в клітинах, акумулюється в АТФ (сполука, що виконує функцію акумулятора енергії в клітинах). Фізіологічні, фізичні й хімічні процеси дихання відбуваються послідовно:
1) вентиляція легень (активне переміщення потоку повітря в легені завдяки конвекції);
2) газообмін у легенях (пасивне переміщення газів між повітрям і кров’ю шляхом дифузії);
3) транспортування дихальних газів (активне переміщення газів потоком крові завдяки конвекції);
Основні процеси дихання
1. Вентиляція легень
2. Газообмін у легенях
3. Перенесення газів
4. Газообмін у тканинах
5. Клітинне дихання
4) газообмін у тканинах (пасивне переміщення газів між кров’ю та тканинною рідиною шляхом дифузії);
5) клітинне дихання (вивільнення енергії з поживних сполук
окиснення).
Біологія + Фізика Енергія не
нікуди,
цей універсальний закон природи.
Які особливості дихання людини?
Легеневе дихання — це дихання за допомогою
газообміну, якими в людини є легені. Такий тип дихання передбачає тісний взаємозв’язок дихальної системи з кровоносною, опорно-руховою та регуляторними системами. Крім того, дихання людини має ряд особливостей, що визначаються її біосоціальною природою. У зв’язку з прямоходінням грудна клітка в людини сплющена спереду назад, що суттєво впливає на дихання. Установлено, що верхівка легень у зв’язку з малою рухомістю верхніх ребер вентилюється недостатньо, а нижні частки легень завдяки скороченню діафрагми забезпечуються потоком повітря якнайкраще. У зв’язку з цим у людини виділяють три типи дихання — грудний, черевний та змішаний. Грудне дихання
стерігається взаємозв’язок дихання і з позитивними та негативними емоціями. Так, глибоке черевне дихання заспокоює людину, а гнів чи стресова ситуація спричинює перехід на грудне дихання.
Біологія + Тіло людини Цей м’язовий орган називають другим серцем. Коли він функціонує правильно, відбувається оновлення 75–80 % об’єму повітря під час кожного вдиху. Називаю орган.
Коротко про головне ДИХАННЯ — сукупність процесів, що
способом життя, мовою та емоціями.
Діяльність
Навчальне завдання. У чому суть дихання? Опорна схема. ДИХАННЯ ЛЮДИНИ.
Розвивальне завдання. Які фізичні та хімічні процеси є основою дихання людини? Інтелектуально-розвивальна вправа. Послідовність та зв’язок процесів дихання.
Ціннісне завдання. Чи існує зв’язок між диханням людини та її свободою? Вправа для визначення. Що таке свобода? Результат Очікувані результати навчання (Учень / учениця...)
• визначає: основне поняття ДИХАННЯ ЛЮДИНИ
•
Dum spiro spero (Поки дихаю, сподіваюсь).
Овідій (43 р. до н. е. — бл. 18 р. н. е.) — римський поет
Оце питання! Існує розділ йоги (хатха-йога), що з допомогою різних поз (асан) та спеціальних дихальних вправ (пранаяма) навчає розвивати і поліпшувати можливості всього організму. «Йога існує у світі, тому що все
взаємопов’язано», — як висловився один із мудреців. А чи існує взаємозв’язок органів дихання зі свободою людини?
ЗМІСТ
Які функції виконує дихальна система людини?
ДИХАЛЬНА СИСТЕМА людини утворена повітроносними шляхами і легенями. Її основними функціями є проведення повітря з
киснем, видалення летких продуктів обміну та функція газообміну повітря з кров’ю. Тісний взаємозв’язок органів дихання з органами опорно-рухової, кровоносної, травної, сенсорних та регуляторних систем розширює перелік функцій дихальної системи. Для проведення повітря (повітроносна функція) органи дихання і стінки повітроносних шляхів побудовані з опорних елементів (кістки, хрящі, зв’язки), завдяки яким вони не спадаються і повітря вільно циркулює при видиху і вдиху. Наприклад, в утворенні носової перегородки беруть участь решітчаста, піднебінні кістки черепа, каркас трахеї утворений гіаліновими хрящами. Внутрішня слизова оболонка повітроносних шляхів містить слизові залози, секрет яких зволожує, обволікає і видаляє пилинки з повітрям (захисна функція). У стінках повітроносних шляхів розташовані лімфоїдні утвори (бронхоасоційована лімфоїдна тканина), що захищають організм від антигенів (імунна функція). Носова порожнина містить нюхові рецептори, які сприймають та передають інформацію до кори півкуль, де формуються нюхові відчуття (чуттєва функція). У гортані розташований голосовий апарат, який разом із язиком, губами, щоками, головним мозком забезпечує мовлення людини (звукоутворювальна функція). А тісні контакти органів дихання з кровоносними судинами
глотка) та нижні (гортань, трахея і бронхи). Стінки органів утворені трьома оболонками: сполучнотканинною, м’язовою та слизовою. До верхніх дихальних шляхів, які першими сприймають
вколишнього середовища, належать носова порожнина і
11.
захисна Бронхи Головні бронхи з хрящових кілець розгалужуються до бронхіол з утворенням бронхіального дерева
Біологія + Латина Увідповідніть позначені структури з їх латинськими назвами: cavitas nasi, pharynx, laynx, trachea, bronchos, pneumon (pulmones), diaphragma.
Які особливості будови легень?
Легені це парні внутрішні асиметричні органи: права легеня складається з 3 часток, ліва — із 2. Ззовні легені вкриті плеврою, яка має 2
Повітроносна, захисна
лію і тонкого шару еластичних волокон та вкриті сіткою кровоносних капілярів. Внутрішня поверхня вистелена плівкою з особливих речовин — сурфактантів, що полегшують дифузію газів, перешкоджають їх злипанню та захищають від мікроорганізмів. Кількість альвеол в обох легенях досягає 300–350 млн, їхня загальна поверхня перевищує 100 м2, тобто в 50 разів більша за поверхню шкіри, що забезпечує дуже швидкий газообмін у легенях.
Біологія + Мистецтво Назвіть співаків, відомих в Україні та у світі. Як ви думаєте, чи достатньо лише вроджених особливостей голосового апарату, щоб стати гарними співаками?
Коротко
ня газообміну.
Діяльність
Навчальне завдання. Чи існує взаємозв’язок будови
хання з їхніми функціями? Опис за допомогою таблиці «Будова та функції». ДИХАЛЬНА СИСТЕМА ЛЮДИНИ.
Розвивальне завдання. Як функція газообміну позначається на будові легень? Інтелектуально-розвивальна вправа. Газообмін та будова легень.
Ціннісне завдання. Чи відрізняється за будовою голосовий апарат видатних співаків? Вправа для сприймання. Індивідуальні особливості будови гортані. Результат Очікувані результати навчання (Учень / учениця...)
• описує:
Фрідріх Ніцше (1844–1900) — німецький філософ, психолог, філолог § 6.3. ЗОВНІШНЄ
Метикуємо! Повітря — природна суміш
газів, із яких складається атмосфера Землі.
Основними компонентами повітря є азот (78,09 % за об’ємом) і кисень (20,95 %),
21 % O2 Близько 79 % N2 З повітря виткана свобода людини.
а також вуглекислий газ, водяна пара та
інертні гази (аргон, неон тощо). Чому саме
кисень використовується для дихання, а не азот, якого у повітрі набагато більше?
ЗМІСТ
Близько 0,03 % CO2
Як відбувається вентиляція легень і дихальні рухи?
Першим етапом зовнішнього дихання є обмін повітря між зовнішнім середовищем і альвеолами легень, що досягається ритмічними дихальними рухами — вдихом і видихом, або вентиляція легень. Оскільки легені не мають власних м’язів, то їх вентиляцію в людини здійснюють: а) грудна клітка із зовнішніми і внутрішніми міжреберними м’язами, які приводять її в рух; б) діафрагма; в) допоміжні м’язи вдиху (грудні, трапецієподібний); г) допоміжні м’язи видиху (черевні).
Дихальні рухи — ритмічні процеси, що забезпечують обмін повітря між зовнішнім середовищем і альвео-
лами легень. В альвеоли легень атмосферне повітря надходить завдяки вдиху, а виходить із них зі зміненим складом за допомогою видиху.
Вдих — активний процес, що за-
безпечує збільшення грудної клітки. Під час спокійного вдиху міжребер-
ні зовнішні м’язи скорочуються й піднімають ребра, діафрагма скорочується, стає плоскішою та опускається донизу. При цьому об’єм грудної порожнини
бокого видиху, який є активним
Біологія + Фізика Що являє собою
Як відбувається газообмін в легенях?
Вдихуване повітря містить майже 21 %
кисню, приблизно 0,03 % вуглекислого
газу та близько 79 % азоту, воду й інертні
гази. Після газообміну в легенях склад видихуваного повітря вже буде іншим: кисню 16,3 %, вуглекислого газу 4 % і 79,7 % азоту, вода та інертні гази. Різний
вміст кисню і вуглекислого газу у вдихуваному й видихуваному повітрі пояснюється обміном газів у легенях.
Газообмін у легенях — обмін О2 і СО2 шляхом дифузії між альвеолярним повітрям і венозною кров’ю. Ці процеси відбуваються в альвеолах і найближчих до них бронхіолах. У повітрі, що його вдихає людина, кисню міститься більше, ніж у венозній крові, що надійшла в легеневі капіляри. Тому кисень у результаті
+ Медицина
хвороба. Які ознаки цього порушення?
Які основні показники зовнішнього дихання?
Для дослідження вентиляції легень та отримання інформації про фізичний стан організму застосовують метод спірографії. За допомо-
гою методу визначають такі показники, як:
• хвилинний об’єм дихання (ХОД) — кількість повітря, що вдихається і видихається протягом однієї хвилини (наприклад, якщо у спокійному стані людина робить 16 дихальних рухів за хвилину і щоразу вдихає й видихає приблизно 500 мл повітря, то ХОД = 0,5 л × × 16/хв = 8 л/хв);
• дихальний об’єм (ДО) — об’єм
повітря, який людина вдихає і
видихає при спокійному диханні (близько 500 мл); Іл. 30. Газообмін в альвеолах легень
•
•
вдиху (близько 1500–2000 мл);
(1000–1500 мл);
• життєва ємність легень (ЖЄЛ) — найбільший об’єм повітря, який людина може видихнути після найглибшого вдиху (ЖЄЛ = ДО (0,5 л) + + ДтО (1,5–2 л) + РОВид (1,5 л) = 3,5–4 л). ЖЄЛ залежить від: віку, статі (у жінок — 3–3,5 л, у чоловіків — 3,5–4,5 л), фізичного розвитку (у тренованих людей — 6–7 л), положення тіла, зросту тощо.
Біологія + Спорт Фридайвінг (вільне пірнання) — це спосіб підводного занурення, який базується на затримці дихання до виходу на поверхню. Фізіологічною
основою затримки дихання (апное) є пірнальний рефлекс.
Цікаво, які зміни в організмі дозволяють спортсменам затримувати дихання
легень. Діяльність
Навчальне завдання. Чому
легень є етапом зовнішнього дихання? Пояснення з використанням фрейму «Три кольори». ЗОВНІШНЄ ДИХАННЯ. Розвивальне завдання. Як досліджують зовнішнє дихання? ПРАКТИЧНА РОБОТА 6. Спірограма та показники зовнішнього дихання. Ціннісне завдання. Як кисень та вуглекислий газ можуть впливати на самопочуття людини? Вправа для реагування. Вплив вуглекислого газу та кисню на головний мозок людини. Результат Очікувані результати навчання (Учень / учениця...)
• пояснює: особливості ЗОВНІШНЬОГО
104
Червона кров (хребетні)
Блакитна кров (павуки, раки, головоногі молюски)
Зелена кров (окремі кільчаки, п’явки)
ЗМІСТ
відбувається транспортування дихальних газів?
ТРАНСПОРТУВАННЯ ДИХАЛЬНИХ
в організмі людини здійснюється кров’ю, яка рухається замкненою кровоносною системою. Легеневими артеріями малого кола кровообігу до легень надходить венозна кров з СО2, а легеневими венами від легень уже тече артеріальна кров, насичена киснем. Вона надходить до серця і звідти — до великого кола кровообігу, яким переноситься до тканин. У тканинах кров віддає кисень, приймає СО2, перетворюється у венозну. Далі кров надходить до серця та спрямовується в малому колі знову до легень. Дихальна функція крові реалізується за участю еритроцитів, які містять особливий білок.
Гемоглобін — дихальний залізовмісний складний білок, що складається з органічного компонента (гема) і білкової частини (глобін). Небілкова група має йон Феруму, що є місцем прив’язування кисню. Вуглекислий газ для транспортування зв’язується з білковою частиною і не конкурує з киснем за місце. Таким чином, гемоглобін здатний транспортувати О2 і СО2. Сполука гемоглобіну
разів більша, аніж у води), слабколужна реакція (рН = 7,35–7,45), яка підтримується буферними системами (гідрогенкарбонатна, гемоглобінова), осмотичний тиск (зумовлений кількістю розчиненої речовини в розчиннику) тощо. Транспортування кисню від легень до тканин здійснюється переважно оксигемоглобіном еритроцитів крові. Дуже незначна частка О2 (близько 1 %) транспортується у розчиненому в плазмі стані, оскільки розчинність кисню у воді невелика. Один грам гемоглобіну може приєднати 1,34 мл кисню. У тканинах кисень від’єднується від гемоглобіну і способом дифузії надходить у тканинну рідину, а далі до живих клітин.
Транспортування вуглекислого газу від тканин до легень здійснюється трьома способами: 1) у розчиненому стані — 10 %; 2) у вигляді карбгемоглобіну — 10 % ; 3) у вигляді карбонатів — 80 %. Розчинність СО2 у воді більша за розчинність кисню, тому
частка вуглекислого газу переноситься плазмою крові. Частина вуглекислого газу зв’язується з гемоглобіном з утворенням карбогемоглобіну (HbСO2). Решта СО2 взаємодіє з водою плазми крові, утворюючи карбонатну кислоту (Н2СО3). Ця кислота одразу розпадається з утворенням Натрію і Калію гідрогенкарбонатів (NaНСО3 і КНСО3). У легенях ці солі дисоціюють, і звільнений вуглекислий газ надходить в альвеоли для видалення з організму.
Біологія + Хімія Оксиген — найпоширеніший хімічний елемент на Землі. На його частку припадає 47 % маси земної кори, 85,7 % маси гідросфери, 23,15 % маси атмосфери і 25,6 % у живій природі. Що являє собою Оксиген з погляду хімії?
Яке біологічне значення кисню
Кисень, що вдихає людина, використовується
реакцій
ня та отримання енергії у клітинах. Цей процес називається клітинним диханням. Достатній рівень кисню в крові є життєво важливим для організму. Стан, коли концентрація
нормального рівня, називається гіпоксією. За низького рівня концентрації
Біологія + Техніка Сатурація кисню в крові — це відсоток оксигемоглобіну до загальної концентрації гемоглобіну в крові. Якщо сатурація кисню в крові знижується, це означає, що організм страждає від гіпоксії. Як називається прилад, що визначає кількість кисню в крові через шкіру пальця чи вуха?
Коротко
ДІЯЛЬНІСТЬ
Навчальне завдання. Які біофізичні та біохімічні
є основою транспортування газів? Самостійне перетворення знань у графічну форму. Кладограма. ТРАНСПОРТУВАННЯ ДИХАЛЬНИХ ГАЗІВ.
Розвивальне завдання. Як кров транспортує гази? Інтелектуально-розвивальна вправа. Властивості крові і транспортування газів. Ціннісне завдання. Як відбувається регуляція дихання за допомогою вуглекислого газу? Вправа для переконаності. Гуморальна регуляція дихання та СО2. Результат Очікувані
отримали В. Келін, П. Реткліфф та Г. Семенза за відкриття механізму адаптації клітин до гіпоксії. Учені дослідили процеси регуляції клітинних
генів за участю білків HIF (Hypoxia inducible factor). А яке практичне значення цього відкриття?
ЗМІСТ
Як відбувається газообмін у тканинах?
Газообмін в тканинах відбувається також унаслідок дифузії. У капілярах артеріальна кров, що надійшла судинами великого кола кровообігу, містить більше
, значення газообміну
тому, що: а) артеріальна кров постачає киснем клітини і позбавляє їх від вуглекислого газу, перетворюючись при цьому у венозну; б) підтримується сталий склад тканинної рідини, що
внутрішнє дихання?
Поживні речовини для клітин — це амінокислоти, жирні кислоти й глюкоза. У клітини ці речовини находять з крові
мембранам. Перехід різноманітних речовин
називається мембранним транспортуванням
чаються» киснем, або кисню вистачає,
тканини, називається кисневим голодуванням, або
Розрізняють два види гіпоксії: екзогенну та ендогенну. Екзогенна гіпоксія розвивається під час підйому на висоту, де атмосфера розріджена, і парціальний тиск кисню у повітрі, що вдихається, знижений. Найтиповішим прикладом є гірська хвороба. Ендогенна гіпоксія може виникати з багатьох причин: унаслідок захворювання легень, серця і кровоносних судин, порушення функції дихального центру, крововтрат, отруєння чадним газом, авітамінозів тощо.
Біологія + Клітина Як називається органела еукаріотичних клітин, що здійснює клітинне дихання?
Як регулюється дихання людини?
Регуляцію дихання здійснюють найрізноманітніші інтегративні, гомеостатичні, адаптивні та захисні процеси, які на рівні організму формують нервову, гуморальну та імунну ланки. Нервова регуляція відбувається за
участю дихального центру, що складається з кількох відділів, розташованих у стовбурі головного мозку (міст і довгастий мозок). До відділів дихального центру надходять імпульси від рецепторів легень, міжреберних м’язів, діафрагми. Залежно від цієї інформації дихальний центр прискорює або сповільнює дихання, впливаючи на частоту дихальних рухів. Мимовільна нервова регуляція відбувається завдяки автоматії дихального центру, який забезпечує ритмічну безумовнорефлекторну діяльність, а довільна нервова регуляція координується нейронами кори півкуль великого мозку. Гуморальна регуляція визначається
вмістом СО2 в крові та його впливом на нейрони. Якщо
109 Стан організму, під час якого тканини й
Іл. 31. Нервова регуляція дихання: 1 — кора півкуль; 2 — відділи дихального центру; 3 — нервові шляхи до діафрагми; 4 — нервові шляхи до міжреберних м’язів; 5 — діафрагма; 6 — міжреберні м’язи; 7 — нервові шляхи від міжреберних м’язів, діафрагми і легень
(мигдалики лімфоглоткового кільця Вальдеєра-Пирогова) і бронхами (лімфовузли). Її речовини (лізоцим, інтерферони) та клітини (лімфоцити) забезпечують гуморальну і клітинну імунну відповідь на чужорідні антигени. Імунна функція сурфактанта визначається особливими білками, що зв’язують мікроорганізми та позначають їх для знищення захисними клітинами-фагоцитами.
Біологія + Мультики У всесвітньовідомій казці «Вінні-Пух та його друзі» є такі рядки: «– Даруй мені, Пуше, але я таки не чхала. Адже не можна чхнути й не знати, що ти чхнув. — Так само не можна знати, що хтось чхнув, коли ніхто не чхав». А що таке пчих?
Коротко про головне ГАЗООБМІН
Діяльність
Навчальне завдання. У чому суть дихання в клітинах? Оцінювання знань з використанням фрейму «Три кольори». ВНУТРІШНЄ ДИХАННЯ.
Розвивальне завдання. Як відбувається постачання кисню тканинам? Інтелектуально-розвивальна вправа. Причини кисневого голодування
Ціннісне завдання. Яке значення кисню для життя? Вправа для формування вибірковості. Механізм термінової адаптації людини до нестачі кисню. Результат Очікувані
Єдина краса, яку я знаю, — це здоров’я. Генріх Гейне (1797–1868) — видатний німецький поет-лірик § 6.6. ДИХАННЯ
Пояснюємо! «Без любові немає щастя, без щастя неможливе життя». Це кредо найвідомішого твору Г. Гейне — збірки ліричних віршів «Книга пісень». У поета є і багато
відомих афоризмів, серед яких: «Людина є хворою, якщо
не радіє променям сонця, що проникають у її житло».
Цікаво, чи має якийсь вплив на дихання сонячне світло?
ЗМІСТ
Які чинники мають визначальний вплив на дихання?
Із пройденого матеріалу стає зрозуміло, що процеси дихання людини та отримання енергії для життєдіяльності залежать від багатьох природних і соціальних чинників. Але визначальне значення має такий абіотичний чинник як повітря: його склад, температура, вологість тощо. Суттєве значення для дихання мають впливи вірусів та мікроорганізми, які є у повітрі та можуть потрапляти в організм разом із ним. Захворювання органів дихання можуть бути спричинені інфекційними збудниками (вірусами, хвороботворними бактеріями) та неінфекційними чинниками (тютюновим димом, чадним газом, побутовим пилом, пилком рослин тощо).
Інфекційними захворюваннями дихальної системи є грип, дифтерія, туберкульоз, гайморит, бронхіт, пневмонія, ангіна, кір, краснуха та ін. У дихальній системі завжди є різні мікроорганізми, але їх хвороботворний вплив проявляється лише в разі різкого ослаблення організму (переохолодження, перевтома, депресія) та зниження його захисних сил.
Неінфекційними захворюваннями органів дихання є хвороби, які виникають унаслідок механічних пошкоджень (пневмоторакс), під впливом цементного пилу (силікози), вугільного пилу (антракози), азбестових частинок (азбестози), що містяться в повітрі, а також алергічні (бронхіальна астма, алергічний риніт) й онкологічні (рак легень). Відповідно до основних складників здоров’я можна назвати ряд рекомендацій щодо правильної організації дихання та об’єднати їх як пам’ятку «Культура дихання»:
1) організуйте правильне дихання: практикуйте дихальні вправи, вдихайте через ніс, видихайте через рот, навчіться діафрагмальному диханню;
2) організуйте спосіб життя: загартовування, фізичне навантаження,
3)
4) організуйте
(флюорографічні обстеження) тощо.
Біологія + Практика
надувався, а грудна клітка не рухалася. Зробіть від 10 до 20 вдихів.
Які сучасні методи дослідження органів дихання?
Для оцінювання стану органів дихання, профілактики та вчасного виявлення захворювань сьогодні застосовуються різні методи, але найпоширенішими є флюорографія, комп’ютерна томографія та спірографія.
Флюорографія — дослідження органів за допомогою рентгенівських променів, що проникають крізь тканини та переносять зображення на плівку за допомогою флюоресцентних мікрочастинок. Періодичність проведення — не частіше, ніж
один раз на рік.
Томографія — метод дослідження, у результаті якого отримують
зображення окремих пластів
досліджуваного об’єкта (органа чи
організму). Усі сучасні види томографії (рентгенівська, магнітно-ре-
зонансна, емісійна) відтворюють
зображення перерізу з допомогою
комп’ютерів, тобто є комп’ютерними.
Спірографія — дослідження
легень шляхом реєстрації їх об’єму
під час дихання. Основним показ-
ником спірографічних досліджень є
життєва ємність легень.
Яке значення наукових дослі -
дихання?
Іл. 32.
Іл. 33. Магнітно-резонансний
фізіологією
гією, фізіологією праці та спорту. Дослідження дихання проводяться на всіх рівнях організації та є основою для практичних рекомендацій щодо проживання людини в екстремальних умовах високогір’я, пустель, холодних районів Арктики й Антарктики, лікування захворювань (гіпоксія, гіпероксія, гірська та кесонна хвороби).
Розділ медицини, що вивчає захворювання органів дихання, називається пульмонологією. Лікарі-пульмонологи спеціалізуються на діагностиці та лікуванні ряду захворювань, серед яких астма, бронхіт, пневмонія, вивчають проблеми, пов’язані зі зниженням функції легенів, унаслідок вірусних та бактеріальних інфекцій, куріння, забруднення повітря.
Важливе значення для розуміння дихання мають дослідження і відкриття у біохімії. Нобелівськими преміями відзначені відкриття енергетичної функції АТФ у обміні речовин, механізмів анаеробного та аеробного окиснення та ін.
Біологія + Хімія «Хто їсть яблука, той легше дихає», — стверджують науковці і обґрунтовують свої висновки наявністю у плодах вітамінів А та С, що є антиоксидантами. Цікаво, а які ще корисні речовини є в яблуках, що впливають на дихання? Діяльність
Навчальне завдання. Які особливості дихання людини? Моделювання змісту теми. ДИХАННЯ ЛЮДИНИ.
Розвивальне завдання. Чи впливають зовнішні чинники на дихання?
Конструювання онлайн-тестів (в сервісі Online Test Pad) на тему: Вплив екологічних чинників на дихання людини.
Ціннісне завдання Проєкт на одну із тем: про емоційно-ціннісне сприйняття природи для успішного життя в соціоприродному середовищі.
Результат
Очікувані результати навчання (Учень / учениця...)
• узагальнює знання
«Анатомічне дослідження про рухи серця і крові у тварин» Гарвей довів, що кров не виникає в печінці з їжі і не зникає в різних органах тіла в процесі життєдіяльності, як вважали раніше. Кров відтікає від серця через артерії та повертається до нього венами, безперервно циркулюючи в судинах. Це було винятковим відкриттям. Цікаво, чому?
ЗМІСТ
Яке значення транспортування речовин в організмі людини?
Харчування, травлення й дихання забезпечують надходження в організм людини поживних речовин і кисню, що необхідні для його життєдіяльності.
На молекулярному рівні транспортування речовин визначається значною мірою властивостями води, у якій розчиняються прості поживні речовини та дихальні гази і яка завдяки своїй плинності переносить їх судинами. Кисень і вуглекислий газ транспортуються за участі гемоглобіну.
На рівні клітин транспортування речовин пов’язане з клітинними елементами крові та
систему. Іл. 35. Транспортування речовин в організмі
5,
якими кров тече від серця; 6 — кровоносні капіляри, у яких відбувається
Транспортування речовин в організмі людини забезпечують три рідини: кров, лімфа і тканинна рідина.
Лімфообіг — це постійна циркуляція лімфи судинами, що утворюють лімфатичну систему. До складу системи входять: а) лімфатичні судини; б) лімфовузли; в) транспортна рідина, яка циркулює, — лімфа. Лімфообіг виконує декілька важливих функцій: баланс рідин внутрішнього середовища, транспортування жирних кислот і жирів від травної системи, транспортування імунних клітин. Лімфа утворюється в лімфатичних капілярах із тканинної рідини, які утворюють густу лімфатичну сітку в органах і тканинах. Від сіток лімфа відтікає лімфатичними судинами, характерною ознакою яких є наявність двостулкових клапанів. На своєму шляху судини перериваються в лімфатичних вузлах. Після каскаду
лімфосудини зливаються з утворенням лімфатичних стовбурів. Від різних
які впадають у систему верхньої порожнистої вени. У лімфатичній системі, яка на відміну від кровоносної є відкритою, лімфа рухається дуже повільно (27–30 см/хв), оскільки немає центрального органа лімфообігу. Її односторонній потік у напрямку серця забезпечують такі чинники: 1) тиск лімфи, що постійно утворюється з тканинної рідини; 2) скорочення скелетних м’язів; 3) скорочення стінок великих лімфатичних судин.
Які особливості кровообігу людини?
Кровообіг (лат. circulatio sanguinis) — це постійний рух крові кровоносними судинами завдяки роботі серця для забезпечення всіх життєво важливих функцій організму. Фізіологічна система, що здійснює кровообіг людини, — це замкнена кровоносна система. До складу цієї системи входять: а) рідина, яка циркулює, — кров; б) орган руху крові (чотирикамерне серце); в) кровоносні судини (артерії, вени, капіляри). З кровообігом нерозривно пов’язані функції тканинної рідин й лімфи. Кров під час кровообігу розподіляється між усіма частинами
редсерді. Мозковий
кровообіг — це рух крові судинами, що живлять мозок. Кровопостачання передньої частини мозку, органів зору здійснюють сонні артерії, а задньої — хребетні. Відтік крові відбувається яремними венами, що впадають у верхню порожнисту вену. Цікаві та повчальні особливості розкриваються, якщо вивчати печінковий, нирковий чи плацентарний кровообіги.
Цікаво! Головне серце восьминога складається
зі шлуночка та двох передсердь і відповідає за переміщення крові по всьому тілу. Два інших серця — зяброві та відповідають за перекачування
Діяльність Навчальне завдання. У чому
транспортування речовин як фізіологічної
РЕЧОВИН. Розвивальне завдання. Чому лімфатичну систему об’єднують з кровоносною системою в серцево-судинну? Інформаційно-пошукова вправа. Будова і значення серцево-судинної системи людини. Ціннісне завдання. Цікаво, чи відрізняється транспортування речовин у доброї людини? Вправа для визначення. Що таке ДОБРО? Результат
Кров, потрібно знати, це особливий сік…
Йоганн Вольфганг фон Гете (1749–1832) — німецький поет, науковець
§ 7.2. КРОВ. ЛІМФА
Вираховуємо! В організмі людини кров становить близько 7 % маси тіла, тканинна рідина — 15 % і лімфа — 4 %. Скільки рідини у внутрішньому середовищі мого організму?
ЗМІСТ
Чому кров — тканина внутрішнього середовища?
У людини на кров припадає близько 7 % загальної маси тіла, що для дорослої людини масою 70 кг становить близько 5 л. У дітей її кількість значно більша: у
новонароджених близько 15 %, а в
однорічних дітей — близько 11 %.
У жінок об’єм крові трохи менший, ніж у чоловіків, і становить близько 6 % маси тіла.
Еритроцити
Лейкоцит
Тромбоцити
Іл. 36. Формені елементи крові
У стані фізіологічного спокою кровоносними судинами циркулює лише половина всієї крові, а решта міститься в депо крові — печінці, селезінці, легенях, судинах шкіри. Об’єм крові досить сталий і при кровотечах швидко відновлюється внаслідок виходу рідин з міжклітинного простору в кров.
Кров містить плазму як міжклітинну речовину та клітини, якими є формені елементи крові.
Таблиця 13. СКЛАД КРОВІ
Плазма (50–60 %)
Неорганічні сполуки:
вода (90 %),
солі (0,9 %).
Органічні сполуки:
білки (7–8 %),
ліпіди (0,7–0,8 %),
глюкоза (0,12 %),
продукти обміну
Формені елементи крові (40–50 %)
Еритроцити (червоні кров’яні тільця)
Лейкоцити (білі кров’яні тільця)
Тромбоцити (кров’яні пластинки)
Місце
Тривалість життя
1 мм3 4,5–5 млн
селезінка, лімфовузли
Кістковий мозок
Кров у процесі еволюції формувалася
здійснення транспортування
тів. Видільна функція забезпечує транспортування
клітин до органів виділення (нирок, легень, шкіри) розчинних у плазмі кінцевих продуктів обміну, надлишку солей тощо. Захисна функція здійснюється лейкоцитами (знешкодження бактерій, вірусів), тромбоцитами (запобігання втратам крові при пошкодженні судин), речовинами у плазмі крові (антитіла). Регуляторна функція полягає в перенесенні регуляторних сполук (гормони, вітаміни) до клітин та органів. Терморегуляторну функцію забезпечує плазма крові, яка переносить тепло по всьому організму для підтримання постійної температури тіла. Гомеостатична функція полягає в тому, щоб за допомогою переміщення
Іл. 37. Утворення лімфи з тканинної рідини в лімфатичному капілярі
від органа, з якого вона витікає. Так, лімфа, що відтікає від травного тракту, вміщує багато жирів, від печінки — білків. Утворюється лімфа із тканинної рідини. У міру збільшення об’єму тканинна рідина, що утворюється постійно з крові, фільтрується у лімфатичні капіляри і переміщується лімфатичними судинами. Завдяки наявності в них клапанів відбувається односпрямований рух лімфи судинами в напрямку серця. Змішується лімфа з венозною кров’ю в підключичних венах. У людини за добу утворюється близько 2 л лімфи. Яке ж її значення? Основними функціями лімфи є захисна (за участю лімфоцитів відбувається знешкодження мікроорганізмів), транспортна (переміщення до великих вен різних речовин) і гомеостатична (регулює об’єм і склад тканинної рідини). Коротко про
рідка тканина червоного
переміщується
переміщується незамкненою лімфатичною системою та виконує захисну, транспортну і гомеостатичну функції.
Діяльність
Навчальне завдання. Чому кров — це рідка тканина? Опис із використанням фрейму «Три кольори». КРОВ. Розвивальне завдання. Як довести взаємозв’язок складу і функцій крові? ЛАБОРАТОРНА РОБОТА 7. Мікроскопічна будова крові.
Ціннісне завдання. Чи існує зв’язок між добрими вчинками людини та функціями лімфи? Вправа для сприймання. Лімфа та її функції.
Результат
• описує: особливості КРОВІ
• формулює очікувані
від еритроцитів і змішав еритроцити з плазмою крові різних осіб. За наявністю або відсутністю склеювання еритроцитів у різних зразках поділив кров на групи крові системи АВ0. У 1930 році Ландштейнеру було присуджено Нобелівську премію «за відкриття груп крові
людини». Яке практичне значення цього відкриття?
ЗМІСТ За якими ознаками розрізняють групи крові?
ГРУПИ КРОВІ — це спадкові
ознаки, що не змінюються упро-
довж життя людини. У 1901 році, коли К. Ландштейнер опублікував результати своїх досліджень, було започатковано відкриття систем груп крові. Сьогодні їх відомо вже
понад тридцять: система АВ0, резус-система, системи Даффі, Льюїс, Келл, Кідд та ін.
Групи крові за системою АВ0 визначаються наявністю в еритроцитах антигенів А і В (аглютиногени) та сполук плазми крові — антитіл α і β (аглютиніни). За комбінацією цих речовин виділяють 4 групи крові: І (0), ІІ (А), ІІІ (В) та ІV (АВ). Склеювання (аглютинація) еритроцитів відбувається в результаті реакції антиген-антитіло, тобто коли антиген А зустрічається з антитілами α, а антигени В — з антитілами β














За резус-системою виділяють дві групи крові: резус-позитивну (Rh+-кров) та резус-негативну (Rh -кров). В еритроцитах більшості людей (85 %) є антиген, виявлений уперше К. Ландштейнером та Р. Вінером у 1940 році у крові макак (Macacus rhesus) і тому названий резус-фактором. Відсутність його виявлено у 15 % людей. Якщо Rh+-кров перелити людині з Rh -кров’ю, то в неї утворяться Rh-антитіла і виникне резус-конфлікт. Повторне введення такій людині Rh+-крові може спричинити важкі ускладнення. Резус-фактор має значення не тільки при переливанні крові, а й при вагітності. Якщо у Rh -жінки формується Rh+-плід, то його кров викликає утворення в крові матері Rh-антитіл. Імунізація відбувається повільно, тому в першої дитини порушень немає. При повторній вагітності антитіла проникають через плаценту і спричинюють ускладнення. Біологія + Символіка На честь Карла Ландштейнера Нідерландський Червоний хрест заснував медаль із девізом «Sanguine sanguinem sanfyti». За які заслуги нагороджують цією відзнакою, що означає латинський вислів і чому на медалі кучерявий пелікан (Pelicanus dalmacius)?
Як і де відбувається кровотворення людини?
Іл. 38. Виникнення резус-конфлікту в людини Кровотворні стовбурові клітини Лейкоцити Тромбоцити Еритроцити
КРОВОТВОРЕННЯ (гемопоез) — процес утворення, розвитку та дозрівання клітин крові. У людини цей процес відбувається в кровотворних органах, якими є кістковий мозок, селезінка, лімфатичні вузли і вилочкова залоза (тимус). Починається кровотворення в людини ще наприкінці другого тижня розвитку зародка. На 5-му тижні центром кровотворення стає печінка, а на 12-му тижні — кістковий мозок. На сьогодні в науці загальновизнаною є теорія кровотворення, згідно з якою всі клітини крові розвиваються зі стовбурових клітин крові червоного кісткового мозку. Після поділу стовбурової клітини одна з утворених клітин-попередниць ділиться і дає початок еритроцитам (еритропоез), лейкоцитам (лейкопоез) і тромбоцитам (тромбоцитопоез). Допоміжну роль у кровотворенні відіграє жовтий кістковий мозок, який перетворюється на кровотворний в умовах надзвичайного стресу. На кровотворення впливають гормони — гемопоетини. Дія цих гормонів підсилюється іншими гормонами (статевими гормонами, гормоном росту). Так, відмінності в кількості еритроцитів чоловіка та жінки зумовлені тим, що чоловічі статеві гормони (андрогени) підсилюють еритропоез, а жіночі (естрогени) — його гальмують. До чинників кровотворення належать вітаміни (В12, С),

Іл. 39. Схема кровотворення
участь різні чинники
(вітамін К), солі Кальцію тощо. Більшість із них
нах печінки (гепатоцитах). Зсідання крові розпочинається одразу після травми стінок судин і закінчується утворенням тромбу через 3–5 хв. У процесі зсідання крові виділяють три основні етапи. На першому етапі руйнуються тромбоцити і вивільняється тромбопластин (триває 3–5 хв, у той час як два наступні — 2–5 с).
час
розчинений у плазмі крові протромбін під дією тромбопластину та йонів Кальцію перетворюється на тромбін. Третій етап зсідання крові пов’язаний із перетворенням розчинного у плазмі крові фібриногену на нерозчинний волокнистий білок — фібрин. Нитки фібрину переплітаються, між ними затримуються клітини крові, формується кров’яний згусток (тромб), що щільно закупорює рану і припиняє кровотечу. Процес утворення фібрину врівноважується утворенням певної кількості фібринолізину, що розчиняє тромби.
на (гепарин) і фібринолітична (фібринолізин), що є виявом захисних реакцій. Діяльність
Навчальне завдання. Як утворюється кров у людини? Опорна схема. КРОВОТВОРЕННЯ.
Розвивальне завдання. Як відбувається зсідання крові? Інформаційно-комунікаційна вправа. Зсідання крові. Ціннісне завдання. Чи впливає група крові на характер людини? Вправа для реагування. Характер і групи крові. Результат Очікувані результати навчання (Учень
ця і філософії свободи.
він пояснював, що головний орган людини — це серце: «Голова всього в людині є серце людське. Воно ж і є сама дійсна в
людині людина, а все інше є зокілля...», «Серце — корінь
життя та обитель огню і любові», «Кожний є тим, чиє
серце в нім. У кого свиняче серце, той свиня. У кого
левине, той лев...». То який із органів людини найважливіший — серце, головний мозок, шлунок..?
ЗМІСТ
Серце людини розташоване в груд-
ній порожнині між легенями, безпосередньо за грудиною (дещо зліва). Маса
серця в людини становить 220–300 г (0,42 %). Ззовні серце вкрите навколо-
серцевою сумкою (1), у порожнині якої є невелика кількість рідини, що зменшує тертя серця під час скорочень. Стінка серця утворена трьома шарами:
зовнішнім (епікард) (2), середнім (міо-
кард) (3) і внутрішнім (ендокард) (4).
Ліва і права частини розділені серцевою
перегородкою (5). Серце людини скла-
дається з 4 камер: двох передсердь та
двох шлуночків. Між лівим передсер-
дям і лівим шлуночком є двостулковий
клапан (6), а між правим передсердям і правим шлуночком — тристулковий клапан (7). В аорті й легеневому стовбурі розташовані півмісяцеві (кишенькові) клапани (8). Наявність клапанів забезпечує рух крові в
скоротливість, провідність, автоматія (здатність серця скорочуватися під впливом імпульсів його провідної системи).
Біологія + Латина Яка латинська назва серця?
Чим зумовлена висока працездатність серця?
Серце людини скорочується близько 100 000 разів на добу і перекачує при цьому більше ніж 10 тис. літрів крові. Така його працездатність зумовлена кількома причинами: 1) ритмічністю роботи, що забезпечується власною провідною системою серця, здатною генерувати збудження; 2) посиленим кровопостачанням і наявністю власного серцевого (коронарного) кола кровообігу; 3) високим рівнем обміну речовин та великою кількістю мітохондрій у клітинах міокарда. Серцевий цикл — це узгоджена ритмічна зміна скорочень передсердь, скорочень шлуночків і загального розслаблення серця. Серце працює ритмічно, його скорочення (систола) чергується з розслабленням (діастола). Один повний серце-
Тривалість 0,1 с
Стан
клапанів Стулкові клапани відкриті
Стулкові клапани закриті, кишенькові — відкриті
Стулкові — напіввідкриті, кишенькові — закриті
Тиск (мм рт. ст.) 8–10 У лівому –120, правому — 25 Близько 0
Рух крові З передсердь у шлуночки
артерії кіл кровообігу Кров у серце
Робота серця задовольняє потреби організму завдяки механізмам саморегуляції, нервової та гуморальної регуляції. Саморегуляція серця забезпечується його
воно випромінює яскраве світло,
змінюється і завжди дотримується правильного шляху». То змінюється чи ні серце людини упродовж життя? Які показники характеризують роботу серця? Основні показники роботи серця, його функціонального стану: • Частота серцевих скорочень (ЧСС) — це кількість ударів серця за хвилину. У нормі, у стані спокою частота серцевих скорочень коливається від 60 до 80 уд./хв. Проте з віком і при деяких захворюваннях цей показник може змінюватися. При більш повільному ритмі — брадикардії — частота серцевих скорочень складає 40–50 уд./хв, при частішому — тахікардії — перевищує 90–100 уд./хв.
• Систолічний об’єм крові (СОК) — це об’єм, що виштовхує шлуночок серця за одне скорочення (близько 70 мл);
• Хвилинний об’єм крові (ХОК) — кількість крові, яку виштовхують шлуночки за 1 хв. Наприклад, за частоти серцевих скорочень 72 уд./хв хвилинний об’єм кров становить: ХОК = СОК × ЧСС = 70 × 72 = = 5 000 мл/хв, або 5 л/хв.
Коротко про головне
СЕРЦЕ — це порожнистий м’язовий
Висока працездатність та невтомлюваність серця зумовлені ритмічністю роботи, власним кровопостачанням та ефективним
Показниками роботи серця є частота скорочень, систолічний та хвилинний об’єми крові.
Діяльність
Навчальне завдання. Які особливості будови серця людини?
Фрейм «Три кольори». СЕРЦЕ.
Розвивальне завдання. Як працює серце людини? Практична вправа. Вимірювання ЧСС.
Ціннісне завдання. «Добро бачить тільки серце. Найголовнішого очима не побачиш» (А. де Сент-Екзюпері). Які чинники впливають на роботу серця? Домашній практикум. Самоспостереження за частотою серцевих скорочень у різних ситуаціях. Результат Очікувані
тече, усе змінюється. Геракліт Ефеський (544–483
Пофілософствуємо! Відомі усім слова Геракліта зберіг для історії філософ Платон: «Геракліт говорить, що все рухається й нічого не стоїть на місці, та, прирівнюючи існуюче до течії річки, доповнює, що двічі ввійти в одну й ту саму річку неможливо». Чи можна
«двічі ввійти» в «червону річку» серцево-судинної системи людини?
ЗМІСТ
Які особливості будови кровоносних судин?
Серцево-судинна система людини, крім серця, має кровоносні судини, якими рухається кров. Будова кровоносних судин тісно пов’язана з їхніми функціями. Артерії — кровоносні судини, по яких кров рухається від серця до органів і тканин. Стінки артерій мають три оболонки і відрізняються товщиною та еластичністю, оскільки їм доводиться витримувати великий тиск і швидкість крові. Зовнішня оболонка стінок артерій побудована зі щільної волокнистої тканини. Середня оболонка складається з гладких м’язів та еластичних волокон. Завдяки м’язам артерії змінюють діаметр і регулюють течію крові, а еластичні волокна надають їм пружності. Внутрішня оболонка утворена особливою тканиною (ендотелієм), клітини якої мають гладкі поверхні,
Артерії розгалужуються на артеріоли, які переходять у капіляри. Капіляри — найдрібніші кровоносні судини, які поєднують між собою
Яке значення
Кровоносні судини утворюють мале і велике кола кровообігу.
Мале (легеневе) коло кровообігу
починається з правого шлуночка легеневим стовбуром, що розгалужується на дві легеневі артерії, які несуть венозну кров до легень. Легеневі артерії
входять у легені й розгалужуються на легеневі капіляри, у яких венозна кров перетворюється на артеріальну. Від капілярів починаються дрібні вени, що утворюють чотири легеневі вени. Ці судини несуть артеріальну кров і впадають у ліве передсердя. Таким чином, у малому колі кровообігу легеневі артерії несуть венозну кров, а легеневі вени — артеріальну. Обіг крові по малому, або легеневому, колу кровообігу здійснюється за 4–5 с. Шлях крові від правого шлуночка через легені до лівого передсердя називається малим колом кровообігу.
Велике коло кровообігу починається з лівого шлуночка, звідки артеріальна кров потрапляє в аорту та через систему артерій і капілярів надходить у різні ділянки тіла. Капіляри поступово зливаються у вени. Найбільші з них — верхня й нижня порожнисті вени — впадають у праве передсердя. Рухаючись великим колом, кров розносить
речовини до клітин, забирає від них
ну, відбувається перетворення артеріальної
по великому колу кровообігу
кровообігу
Як рухається кров судинами? Основними чинниками кровообігу є
тиск (P) та швидкість руху крові (V).
Кров’яний тиск — тиск у судинах, зумовлений ритмічною роботою чотирикамерного серця. Залежно від типу судин, розрізняють артеріальний, капілярний та
мм/с), оскільки сума поперечних розрізів усіх капілярів більш ніж у 500 разів перевищує діаметр аорти
Рух крові венами Тиск крові найменший (≈ 2–8 мм рт. ст.), але швидкість її руху по венах збільшується (досягає 0,2 м/с),
Опорна схема. КРОВОНОСНІ СУДИНИ.
Розвивальне завдання. Чому мале та велике кола кровообігу починаються зі шлуночків серця, а завершуються передсердями?
Інформаційно-пошукова вправа. Будова серця і кола кровообігу.
Ціннісне завдання. Чому тиск і швидкість
ються у різних типах судин? Вправа для вибірковості. Закономірності руху крові.
Результат Очікувані результати навчання
Пригадуємо! «Зірка життя» — це синя шестипроменева зірка з білою облямівкою, у центрі — білий посох Асклепія, давньогрецького бога лікування. Посох символізує зв’язок із землею (змія) і мандрування лікаря (посох). Емблемою якої медично-санітарної служби є «зірка життя»?
ЗМІСТ
Які чинники впливають на серцево-судинну систему? Для нормального функціонування серця та кровоносних судин першочергово потрібні свіже повітря, раціональне харчування, регулярні фізичні вправи, відсутність надмірних психологічних навантажень і стресів. Чинниками, що негативно впливають на роботу серцево-судинної системи, є: гіподинамія, шкідливі звички, емоційні стреси, ожиріння, забруднення довкілля. Неправильний спосіб життя та незадовільний стан довкілля можуть бути причиною серцево-судинних захворювань, які сьогодні є найпоширенішими серед різних хвороб у всіх країнах світу. Якщо раніше
притаманні переважно людям літнього віку, то тепер порушення серцево-судинної системи спостерігають уже й у дітей. Серцево-судинні захворювання поділяють на такі групи: хвороби серця (інфаркт міокарда, стенокардія, аритмії, вроджені й набуті вади серця), хвороби артерій (дистонія, інсульт), хвороби вен (варикозне розширення вен, тромбофлебіт). Визначальними чинниками ризику цих захворювань є артеріальна гіпертензія (застарілий термін — гіпертонія) та атеросклероз. Артеріальна гіпертензія — порушення, що характеризується стійким підвищенням артеріального тиску в судинах великого кола кровообігу. Причиною є стійке підвищення тиску в артеріях (вище 140/90 мм рт. ст.), що виникає через порушення цілісності стінок цих судин і втрату ними еластичності. Такі зміни можуть виникати в судинах головного мозку, серця, нирок і часто є причиною інсульту, інфаркту міокарда, ниркової недостатності. Атеросклероз — порушення, що характеризується втратою еластичності стінок артерій, звуженням їхнього просвіту і частим утворенням тромбів. Зміна стінок артерій спричинена відкладанням холестеринових бляшок із подальшим їх склерозом (розростанням сполучної тканини) і кальцинозом (просяканням солями Кальцію, через що судини стають

адреналін звужує кровоносні судини, ацетилхолін — їх розширює.
Які є типи кровотеч?
Після ушкодження кровоносних судин можуть виникати кровотечі. З погляду медицини їх класифікують на зовнішні (капілярні, венозні, артеріальні) та внутрішні.
Капілярна кровотеча — це кровотеча внаслідок пошкодження дрібних судин шкіри, підшкірної клітковини і м’язів. У цьому випадку кровоточить уся поверхня рани. Колір крові під час капілярної кровотечі темно-червоний, вона витікає повільно, її легко зупинити. Першою допомогою при таких кровотечах є знезараження місця поранення гідроген пероксидом
чистої пов’язки.
Венозна кровотеча — це кровотеча, що виникає
безперервно й рівномірно. Надання
знезаразити, накласти тиснучу
направити потерпілого до лікарні. Артеріальна кровотеча — це кровотеча, що виникає при пошкодженні артерій. Ознаками цих найбільш небезпечних кровотеч є яскраво-червоний колір крові, витікання пульсуючим струменем, поступове просочення пов’язки на рані постраждалого тощо. Згідно з алгоритмом MARCH, що відображає послідовність заходів надання медичної допомоги в бойових та цивільних екстремальних ситуаціях, першочерговою дією є швидка зупинка цих загрозливих кровотеч. Для цього застосовують джгути / турнікети, бинти, бандажі тощо. Джгут для зупинки крові накладають на 5–8 см вище від рани. Місце накладання захищають ватно-марлевою пов’язкою. Якщо кровотечу зупинено, необхідно обов’язково
на турнікеті або іншому видимому місці. Внутрішні кровотечі — це кровотечі в черевній, грудній чи черепній порожнинах. Виявляють внутрішні кровотечі за зовнішнім виглядом людини: раптова блідість, холодні кінцівки, почастішання і послаблення пульсу, запаморочення,
M (Massive bleeding) A (Airway Management) R (Respiration) C (Circulation) H (Head injury / Hypothermia / Hypovolemia).
досліджень психології. Одним із напрямів досліджень космічної біології є вивчення впливу мікрогравітації
судин. Розділ медицини, що вивчає серцево-судинну систему людини та серцево-судинні захворювання, називається кардіологією. У практику лікування та діагностики хвороб серця й судин втілюються нові методи із застосуванням біохімічних, електрофізіологічних, ультразвукових, рентгенологічних та інших досліджень. Проблеми переливання крові вивчає трансфузіологія. Переливання крові згідно із сучасними рекомендаціями здійснюється з урахуванням певних норм: а) для переливання використовують лише одногрупну кров; б) у деяких випадках людина з IV (AB) групою крові може стати універсальним донором плазми, оскільки в її крові немає антитіл; в) не слід користуватися кров’ю одного і того ж донора під час повторного переливання, тому що обов’язково відбудеться імунізація до однієї із систем крові; г) найкращим донором є людина, яка сама для себе може здати кров (заздалегідь). Сьогодні для переливання використовують цільну кров (рідше), компоненти крові (еритроцитарна маса, лейкоцитарна маса, тромбоцитарна маса, плазма), кровозамінники (поліглюкін, желатиноль, сольові розчини та ін).
Діяльність
Навчальне завдання. Які особливості транспортування речовин у людини? Моделювання змісту теми. ТРАНСПОРТУВАННЯ РЕЧОВИН ЛЮДИНИ.
Розвивальне завдання. Які чинники впливають на
речовин в організмі людини? Конструювання онлайн-тестів (в сервісі Online Test Pad) на тему: «Вплив екологічних чинників на транспортування речовин людини».
Ціннісне завдання. Проєкт на одну із тем щодо оцінювання впливу досягнень природничих наук
Результат
Очікувані результати навчання (Учень
Шкіра — це
за
якого
визначити здоров’я і
життєву історію людини. Вільгельм Вінтерніц (1835–1917) — австрійський лікар, засновник фізіотерапії
§ 8.1.
ШКІРА
Міркуємо! З 2015 року в Україні громадянам офіційно почали видавати біометричні паспорти. У документі вбудований спеціальний мікрочіп, який, окрім основних даних, може містити фотографічне зображення власника паспорта, зображення райдужної оболонки ока та відбитки пальців. Цікаво, чим зумовлена унікальність папілярного візерунка?
ЗМІСТ
Яке значення шкіри для організму людини? Особливості шкіри формуються ще в зародковому періоді розвитку і не змінюються упродовж життя. Візерунки пальців, долонь і підошов є індивідуальними, легко
Установлено, що аж 43 генетичні ділянки залучені до формування шкірного візерунку лише на кінчиках пальців.
Шкіра людини бере участь у
здійсненні важливих процесів життєдіяльності, якими є обмін речовин, терморегуляція, дихання, виділення, подразливість, кровообіг, імунна регуляція. Таблиця 17. ФУНКЦІЇ ШКІРИ
Назва Характеристика
Бар’єрна Захищає від несприятливих зовнішніх впливів завдяки щільним рядам рогових лусочок і
Яка будова шкіри людини?
Шкіра у людини
Зовнішній шар шкіри — епідерміс (надшкір’я) — утворений багатошаровим плоским епітелієм. Верхні пласти шару складаються з мертвих
зроговілих клітин (роговий прошарок), що захищають від пошкоджень та хвороботворного впливу мікроорганізмів. Глибше розташовані живі
клітини, які постійно діляться та
забезпечують відновлення епідермісу (ростковий прошарок). Серед них зустрічаються особливі пігментні клітини (меланоцити), що утворюють
меланін. Ці темно-коричневі пігменти забарвлюють шкіру, волосся, райдужну оболонку ока. Відомо, що меланіни також виконують функцію захисту від УФ-опромінення. Під епідермісом розміщений наступний шар — дерма (власне шкіра). У ній два прошарки: сосочковий (утворює виступи) і сітчастий (містить еластичні та колагенові волокна). У дермі розташована переважна більшість структур шкіри, що виконують її важливі функції: нервові закінчення й рецептори, кровоносні та лімфатичні судини, сальні й потові залози, волосяні сумки і м’язи волосин.
Найглибший шар шкіри — гіподерма (підшкірна жирова клітковина) — складається зі сполучної тканини та великої кількості жирових клітин (адипоцитів), що утворюють білу та буру жирову тканину. Ці важливі клітини беруть участь в обміні жирів, утворенні тепла, адаптації до зміни температури середовища, ендокринній регуляції.
Біологія + Мікроскопія Клітини бурого жиру містять численні краплі та мають велику кількість мітохондрій. Цікаво, яка їхня основна функція?
Яке значення похідних шкіри?
Крім самої шкіри, в організмі є її похідні: нігті, волосся та шкірні залози.
Нігті — рогові утвори у вигляді
й виділяти певні секрети. До цих залоз належать потові, сальні та молочні. Потові залози відіграють важливу роль у водно-сольовому обміні, виділенні з організму продуктів обміну, теплорегуляції. Сальні залози розташовані майже по всій шкірі, за винятком долонь та підошов. Найбільше їх у шкірі обличчя й голови. Сальні залози виділяють шкірне сало (близько 20 г за добу), що змащує шкіру і волосся та надає їм еластичності, оберігає від вологи, висушування. Цей секрет має кислу реакцію (рН 5,5) і бактерицидні властивості. Молочні залози — це парні залози зовнішньої секреції, одна із вторинних статевих ознак.
Біологія + Українська мова В українців є фразеологізм «волосся дибки стало».
Діяльність
Навчальне завдання. Які особливості організації шкіри? Опорна схема «Ієрархія». ШКІРА.
Розвивальне завдання. Які фізіологічні функції відбуваються за участю шкіри? Проблемно-пізнавальна вправа. Будова шкіри у взаємозв’язку з функціями.
Ціннісне завдання. На чому ґрунтується наша повага чи неповага до шкіри? Вправа для визначення. Що таке «ПОВАГА ЛЮДИНИ»? Результат Очікувані результати навчання (Учень / учениця...)
• Визначає: особливості ШКІРИ ЛЮДИНИ
• Усвідомлює пізнавальну ситуацію:
багатофункціональності шкіри
• Визначає суть ціннісної категорії: ПОВАГА
Саморозвиток
Усвідомлюємо! У 1831 році побачив світ роман
шкіра», який приніс Бальзакові справжню славу. Шагрень — це фантастична шкіра віслюка онагра. Загадковий антиквар дарує юнакові Рафаелю шагреневу шкіру. Напис на чарівній шкірі пояснював, що усі бажання її власника будуть виконуватися, але щоразу шкіра буде зменшуватися, як і життя цієї людини. Рафаель збагачується, але водночас розміри його шкіри катастрофічно зменшуються. Ось таким є сюжет роману. А чи існує насправді зв’язок між тривалістю життя людини та біологічними функціями шкіри?
ЗМІСТ
У чому суть бар’єрної функції шкіри?
шкіри виділяється бар’єрна. Її структурні утвори запобігають шкідливим впливам зовнішніх чинників довкілля та втратам внутрішніх ресурсів організму (наприклад, води). Розрізнять чотири основні
види шкірного бар’єра: фізичний, хімічний, імунологічний і мікробний.
Фізичний бар’єр функціонує завдяки роговому прошарку епідерми, який у
дорослої людини утворений аж із 15–20 шарів відмерлих клітин-корнеоцитів та ліпідів в проміжках між ними. Ці клітини мають вигляд плоских лусок, позбавлених ядра та органел. Утворюються з живих клітин-кератиноцитів, поступово злущуються, а на їх місце приходять нові клітини. З віком оновлення клітин відбувається рідше і шкіра починає старіти. Важливу
роль у захисті мають молекули ліпідів (кераміди), що утворюють водонепроникний бар’єр, запобігають втраті води. Хімічний бар’єр шкіри пов’язаний із молочною кислотою секрету потових залоз, молекулами антимікробних
ри. Віруси, бактерії, грибоподібні організми, дріжджові гриби, окремі представники тваринного світу (наприклад, десмодові кліщі) утворюють цілісну екосистему з різними симбіотичними взаємозв’язками. Серед них наявні види-мутуалісти, коменсали та паразити, які живуть на поверхні шкіри, у волосяних цибулинах, потових і сальних залозах. Біологія + Фізика Як шкіра захищає організм від жорсткого ультрафіолету?
Яка роль шкіри у сприйнятті подразнень?
Здатність відчувати зовнішнє середовище та адаптуватися до нього є важливою для
виживання всіх організмів. І в цьому першорядну роль відіграє шкіра.
Шкірна рецепція забезпечується рецепторами, які мають вигляд вільних нервових закінчень, капсульованих чи некапсульованих тілець у формі дисків, колб. Механічні впливи сприймають дотикові (тільця Мейснера, тільця Фатера-Пачіні, диски Меркеля), тепло й холод — температурні (колби Краузе, тільця Руффіні), а будь-який надмірний вплив — больові рецептори (вільні нервові закінчення). Усі ці рецептори сприймають подразнення, перетворюють їх у нервові імпульси та надсилають до центральної нервової системи. Вони є частиною соматичних сенсорних систем, з якими пов’язане виникнення відчуттів. У нашому повсякденному житті ми сприймаємо ці відчуття як належне, але як виникають імпульси, щоб можна було сприймати тепло, холод, тиск? На це питання дали відповідь лауреати Нобелівської премії 2021 року
Д. Джуліус і А. Патапутян, які відкрили особливі молекули в клітинних мембранах шкірних рецепторів. Їхнє відкриття використовується
для розроблення методів лікування багатьох захворювань.
Які особливості шкірної секреції
висиханню. Грудне молоко — секрет молочних залоз, що виробляється в жінок упродовж певного періоду для вигодовування новонароджених дітей. Секрет містить воду, поживні речовини, вітаміни, макро- та мікроелементи, антимікробні речовини, протизапальні сполуки і навіть імунокомпетентні клітини та симбіотичні бактерії, що сприяють формуванню імунної системи та мікробіому кишки дитини. Дослідники стверджують, що грудне молоко варто вважати особливою тканиною, як кров чи лімфа.
Біологія + Косметика Чому в підлітковому та юнацькому віці треба обережно ставитися до косметики для догляду за шкірою тіла,
Діяльність
Навчальне завдання. У чому суть функціональної організації шкіри? Опис з використанням схеми «Функціонування». ФУНКЦІОНУВАННЯ ШКІРИ.
Розвивальне завдання. Яка роль шкіри в сприйнятті інформації? Проблемно-пізнавальна вправа. Шкірні рецептори та інформація.
Ціннісне завдання. Які знання шкірної секреції необхідні для догляду за власною шкірою? Домашній практикум. Визначення типу шкіри на різних ділянках обличчя та відповідних правил догляду за нею.
Результат
Очікувані результати навчання (Учень / учениця...)
Застосовуємо! У сучасного
рядки:
І вже давно б, мабуть, земля зотліла, Все з порохом в минуле відійшло.
Та тільки на землі присутнє диво,
І називається воно «людське тепло».
Як народжується тепло людського тіла і чи
впливає «людське тепло» на терморегуляцію людини?
ЗМІСТ
Які процеси підтримують температуру тіла людини?
Людина разом з іншими ссавцями і птахами належить
теплокровних (гомойотермних) організмів,
температури
хімічних процесів, які
Хімічна терморегуляція Фізична терморегуляція
Це реакції окиснення з виділенням
енергії, близько 50 % якої йде на тепло.
Відбуваються у клітинах скелетних м’язів (70 %), печінки (20 %), мозку (близько 16 %), серця (близько 11 %). На частку
шкіри від загальної теплопродукції
припадає усього 2 %. Швидку доставку
кисню для окиснення вуглеводів і жирів
забезпечує артеріальна кров
Це чотири основних процеси, що
відбуваються переважно через шкіру:
• конвекція — віддача тепла через повітря;
• випромінювання — у вигляді інфрачервоних променів;
• теплопроведення — тепловіддача при фізичному контакті між тілами;
• випаровування — тепловтрати з поверхні тіла в процесі перетворення води в пару У теплоутворенні виокремлюють
людини. Де в комарів розташовані ці рецептори? Яка температура тіла в людини?
Температура тіла є загальним показником теплового стану та гомеостазу організму людини. Усю динаміку можливих змін температури тіла людини ділять на діапазони: зміни в межах норми — нормотермія, нижчих за норму — гіпотермія (під час природного чи штучного охолодження), вищих — гіпертермія (наприклад, під час лихоманки). В організмі людини умовно розрізняють дві температурні зони — оболонку і ядро. Оболонку утворюють розташовані на поверхні органи — шкіра, органи чуттів; ядро — кров, лімфа, внутрішні органи. Температура ядра вища, ніж температура оболонки, відносно стабільна і становить 36,5–37 °С. Температура оболонки нижча за температуру ядра на 5–10 °С і неоднакова в різних ділянках тіла, що пов’язано з їх кровопостачанням, товщиною підшкірного жирового шару тощо. У більшості людей добре виражені добові коливання температури тіла в діапазоні 0,1–0,6 °С. Найвища температура тіла у другій половині дня, найнижча — вночі. Є й сезонні коливання температури тіла: улітку вона на 0,1–0,3 °С вища, ніж узимку. У жінок виражений також місячний ритм зміни: під час овуляції вона підвищується на 0,6–0,8 °С. Підвищення температури тіла відзначається під час інтенсивної роботи м’язів, при емоційних переживаннях. Для вимірювання температури тіла використовують безртутні скляні (заповнені безпечним галінстаном — сплавом галію, індію, олова і цинку), електронні та інфрачервоні термометри. А від скляних ртутних, що є найбільше небезпечними через їхню крихкість та токсичність ртуті, варто відмовлятися. З 1 січня 2024 року Україна долучилася до Мінаматської конвенції про ртуть (Закон України «Про приєднання України до Мінаматської конвенції про ртуть» від 29.05.2023) і ртутні термометри для використання перебувають під забороною. Вимірюють температуру тіла в різних ділянках, зазвичай у пахвовій западині (36,6–36,7 °С), ротовій порожнині (36,7–36,8 °С) та прямій кишці (близька до 37 °С). Останні дослідження показують, що середня
здатні утворювати речовини (лейкопірогени), що підвищують температуру тіла для захисту від вірусів та мікроорганізмів.
Становлення терморегуляції людини завершується наприкінці другого року життя.
Біологія + Історія Лодовіко Сфорца на прізвисько «Моро» — герцог Мілана з династії Сфорца. У 1646 році в Італії у замку цього герцога відбулась урочиста процесія, яку очолював «золотий хлопчик», що уособлював «золоте століття». Тіло хлопчика було повністю вкрите золотою фарбою. Після процесії виявилося, що «золотий хлопчик» помер. Застосуйте знання функцій шкіри і поясніть можливу причину загибелі «золотого хлопчика». Коротко про головне
механізмам регуляції.
Діяльність Навчальне завдання. У чому суть терморегуляції? Пояснення з використанням схеми «Функціонування». ТЕРМОРЕГУЛЯЦІЯ. Розвивальне завдання. Чому температура тіла людини може відрізнятися? ПРАКТИЧНА РОБОТА 8. Як правильно вимірювати температуру тіла медичним термометром?
Ціннісне завдання. Як шкіра пристосовується до впливу температур зовнішнього середовища? Домашній практикум. Дослідження температурної адаптації рецепторів шкіри. Результат Очікувані
Будь-який існуючий
§ 8.4. ВИДІЛЕННЯ
Аналізуємо! Протонефридії плоских червів, метанефридії кільчастих червів, шкірні залози нематод, зелені залози ракоподібних, мальпігієві трубочки комах, нирки хребетних. Чому органи виділення тварин такі різноманітні?
ЗМІСТ
Яке біологічне значення процесів виділення?
Унаслідок обміну речовин та енергії в організмі з’являються зайві для нього сполуки, якими є: 1) кінцеві продукти розщеплення поживних речовин (СО2, Н2О, жовчні пігменти, сечовина, сечова кислота, амоніак); 2) надлишкові сполуки (солі, вода); 3) чужорідні сполуки (солі важких металів); 4) отруйні сполуки (амоніак, ацетон, гідрогену пероксид та ін.).
У виділенні непотрібних сполук у людини беруть участь: легені (СО2, Н2О, ацетон), шкіра (у складі поту видаляються Н2О, солі, молочна кислота), травна система (неперетравлені рештки, солі важких металів, холестерол, жовчні пігменти), сечовидільна система (сечовина, надлишок солей, сечова кислота, Н2О). Виділення відбувається внаслідок різних фізичних та хімічних процесів. Так, отруйний амоніак хімічним чином перетворюється в сечовину, що розчиняється в плазмі крові, транспортується з кров’ю до нирок, фільтрується з утворенням сечі й видаляється з організму. Пектинові речовини, що входять до складу фруктів та овочів, здатні зв’язувати важкі метали і радіонукліди з утворенням комплексів, що видаляються з організму через травну систему. Результатом процесів виділення є низка важливих для
обміну речовин для збереження рівноваги оборотних біохімічних
мінеральних речовин в рідинах внутрішнього середовища (осморегуляція). Нирки
регуляцію об’єму води в організмі (волюморегуляція).
Затримуючи певні йони (Na+, K+) або посилюючи їх виведення з організму, нирки відіграють головну роль у підтриманні йонного гомеостазу. Нирки здатні змінювати концентрацію йонів амонію NH4+ та гідрогену H+ і забезпечують регуляцію кислотно-основного балансу внутрішнього середовища. Також у нирках утворюються речовини, що регулюють артеріальний тиск (ренін), кровотворення (еритропоетин), обмін солей (активна форма кальциферолу) (внутрішньосекреторна функція).

Ззовні нирки вкриті сполучнотканинною капсулою з прошарком жирової тканини, що захищає їх від механічних впливів та температурних перепадів, утримує в певному положенні. На увігнутому краю нирки розташовані ниркові ворота, якими проходять сечовід, кровоносні й лімфатичні судини, нерви. Завдяки нирковим артеріям і нирковим венам нирки людини дуже добре забезпечуються кров’ю. Вони отримують близько 1,5 л/хв, що у 4–5 разів більше, ніж серце та мозок. Основною структурною і функціональною одиницею нирок людини є нефрон. Капсули нефронів формують у нирках зовнішню кіркову речовину, а їхні звивисті канальці та сечозбірні трубки утворюють ниркові піраміди у складі внутрішньої мозкової речовини. Вершини ниркових пірамід відкриваються в ниркові чашки, які переходять у ниркову миску. Усі ці анатомічні утвори забезпечують швидке збирання сечі та її потрапляння в сечоводи. Сечовід — парний орган у вигляді трубки, що забезпечує відведення сечі з нирок у сечовий міхур.
142
головного мозку. Кінцеве знешкодження відбувається в печінці, де він перетворюється на нетоксичний продукт — сечовину. Це перетворення
відбувається у формі циклу сечовини, який вперше описали Г. Кребс і К. Хенселайт ще у 1932 році. Біологія + Здоров’я Сечовина як хімічна сполука має для організму людини й корисне значення. Коли людина пітніє, частина поту випаровується, а сечовина залишається на поверхні шкіри та захищає її від пересихання, сприяє пружності. Тому ця речовина входить до складу кремів для шкіри, шампунів, фарб для волосся і навіть гігієнічних зубних паст.
внутрішньосекреторної функцій, завдяки чому зберігається гомеостаз.
Діяльність
Навчальне завдання. У чому суть виділення як фізіологічної функції? Опорна схема «Ієрархія». ВИДІЛЕННЯ. Розвивальне завдання. Де і як знешкоджується амоніак в організмі людини? Проблемно-пізнавальна вправа. Сечовидільна система
людини й амоніак.
Ціннісне завдання. Чому нирки заслуговують особливої поваги? Вправа для переконаності. Здоровий спосіб життя і нирки.
Результат
Очікувані результати навчання (Учень / учениця...)
• аналізує знання: про особливості
водиться щороку в понад 120 країнах світу. У 2024 році головне гасло заходів: «Здорові нирки для всіх. Розвиток справедливого доступу до догляду та практики лікування». Яке значення для людини має обізнаність з будовою та функціонуванням нирок?
ЗМІСТ
Що є одиницею будови та функцій нирок?
Структурно-функціональною
одиницею нирок є нефрон. Їх
кожній нирці дуже багато, близько 1 млн. У кожному нефроні основни-
ми елементами будови є ниркове
тільце та система канальців. Ниркове тільце (тільце Мальпігі) утворене двостінною капсулою (капсула Шумлянського-Боумена), усередині якої міститься капілярний клубочок з приносною
(більший калібр) та виносною
(менший калібр) артеріолами.
Виносна клубочкова артеріола утворює капілярну сітку (периту-
булярна мережа), що густо обплітає канальці.
Систему канальців нефрона утворюють первинний каналець, петля Генле, вторинний кана-
лець, який відкривається в збірну
ІІ етап утворення вторинної сечі (1,5–1,8 л
в кров потрібних організму глюкози, амінокислот, води, йонів солей) у перитубулярну мережу. Крім того, відбувається ще й канальцева секреція (додаткове видалення з крові у сечу шкідливих речовин, що не відфільтрувались у капсулах). Утворюється вторинна сеча, у складі якої сечовина, сечова кислота, надлишкові
Біологія
відбувається регуляція сечоутворення та сечовиведення?
Регуляція сечоутворення здійснюється за допомогою нервово-гуморальних механізмів. Інформація про склад
сприймається хеморецепторами, які розташовані в кровоносних судинах. Збудження від цих
рецепторів міхура. Імпульси від цих клітин по нервах надходять до центру сечовиведення в крижовому відділі спинного мозку. У цьому центрі інформація аналізується та формується відповідь, яка у вигляді нервових імпульсів надходить до робочих органів. Відбувається скорочення стінок сечового міхура і розслаблення колових м’язів сечового міхура та сечівника. Людина може легко гальмувати позиви до сечовиведення, тому що на розслаблення м’яза-сфінктера сечівника впливає кора великих півкуль головного мозку. У дітей раннього віку коркового контролю затримки сечовиведення немає. Біологія + Латина Визначаю українські назви органів: ren, ureter vesica, urinaria, urethra.
Коротко про головне
ральної та саморегуляції.
Діяльність
Навчальне завдання. Яке значення сечоутворення? Оцінювання з використанням схеми «Формула Квінтіліана». СЕЧОУТВОРЕННЯ. Розвивальне завдання. Які особливості будови нефронів забезпечують утворення сечі? Проблемно-пізнавальна вправа. Будова нефронів у зв’язку з процесами сечоутворення.
Ціннісне завдання. Чи може уринотерапія перезапустити імунну систему та покращити
Вправа для вибірковості. Правда та міфи про уринотерапію.
§ 8.6. ШКІРА,
Пояснюємо! Шкіра — дзеркало здоров’я організму та його органів. Наприклад, такі ознаки як сухість, зміна кольору, набряки під очима, відкладання солей кальцію під шкірою біля ліктьових чи колінних суглобів, у деяких випадках можуть бути свідченням порушень у функціонуванні нирок. Цікаво, яким чином робота
нирок позначається на функціях шкіри і чи існує зворотний зв’язок?
ЗМІСТ
Які чинники впливають на функціонування шкіри? Важливе значення для здоров’я шкіри мають соціальні умови та особистісне ставлення, основою якого є розуміння значущості шкіри та взаємозв’язку її функціонування з процесами життєдіяльності організму. Серед основних правил
дотримання правил
ця, повітря й води, систематичні
режим харчування.
Багато захворювань шкіри — дерматозів
нішніх природних чинників: мікроскопічні грибки спричинюють мікози (стригучий лишай, кандидози, парша, або фавус), стафілококові та стрептококові бактерії — гнійничкові захворювання, тварини-паразити (коростяний кліщ, воша людська) — коросту, педикульоз, віруси — бородавки, герпес. Шкідливе випромінювання може спровокувати доброякісні та злоякісні пухлини (меланома шкіри), надмірна висока чи низька температура — опіки чи обмороження, кислоти чи луги — хімічні опіки.
До внутрішніх чинників віднесемо особливості: генетичні будови шкіри, нервової, ендокринної та імунної регуляції, процесів травлення тощо. Захворювання внутрішніх органів можуть спричинювати алергічні хвороби шкіри — кропив’янку, екзему та ін. Ряд захворювань зумовлений порушенням функцій нервової
Які чинники впливають на діяльність
Визначальними внутрішніми чинниками для функціонування органів сечовиділення мають впливи нервової, ендокринної, імунної та кровоносної систем. Найважливішими соціальними умовами здоров’я сечовидільної системи є раціональне харчування, своєчасне лікування захворювань зубів, органів травлення, загартовування організму, щоденна особиста гігієна. Шкідливими чинниками, що призводять до розвитку захворювань органів сечовиділення, є перевтома, переохолодження, виснаження, гіповітамінози, захворювання органів статевої системи, зловживання алкогольними напоями, гострими стравами та ін. Для правильного догляду за станом сечовидільної системи фахівці сформулювали прості щоденні правила.
Будьте активними, оскільки фізичні навантаження допомагають нормалізувати артеріальний тиск, покращити циркуляцію
нирках.
Пийте достатню кількість води. Рідина використовується нирками для формування сечі, осморегуляції. Звертайте увагу на організацію свого харчування. Надлишок солі, гострі спеції,
Проміжні продукти розпаду етилового спирту можуть призвести
нирок. Особливо небезпечним чинником для організму підлітків є вживання пива. Руйнівно діє спирт, що міститься в пиві, а також сполуки важких металів (наприклад, Кобальту, Кадмію). Крім того, пиво містить особливі речовини (фітоестрогени), концентрація яких в 1 літрі може досягати 0,15 мг. Цієї кількості досить для помітного порушення гормонального балансу людини. Саме тому чоловіки, які зловживають пінним напоєм, поступово стають схожими на жінок: на стегнах відкладається жир, з’являється «пивний» живіт, розширюється таз, збільшуються груди тощо. Використовуйте для профілактики ниркових захворювань лікувальні властивості
148
однаковою мірою страждають представники різних статей і вікових категорій. Існують і вроджені захворювання, що можуть супроводжуватися втратою функції нирок і розвитком ниркової недостатності (одна нирка, подвоєна нирка, зрощена нирка та ін.).
Причинами захворювання органів сечовидільної системи часто є інфекції: низхідна (через кров під час ангіни, захворювань зубів, ротової порожнини) та висхідна (під час захворювань нирок і статевих органів). Нирки, особливо в дітей та підлітків, дуже чутливі до різних токсинів і забруднювачів навколишнього середовища. Алкоголь, нікотин, бензен, пестициди тощо, потрапивши в кров, порушують діяльність нирок. Чинниками ризику для захворювань органів сечовиділення є цукровий діабет, послаблена імунна система, сидячий спосіб діяльності, деякі лікарські засоби (наприклад, антибіотики). Біологія + Фітотерапія Відомий американський дієтолог Поль Брегг писав: «Серед овочів та фруктів немає ефективнішого засобу для розчинення та виведення з людського організму неорганічних мінералів, аніж соковитий м’якуш кавунів…». Цікаво, які речовини у складі кавунів визначають їх терапевтичне значення?
Які основні напряки досліджень і застосування
сечовиділення?
ділення
системи до природних чинників вивчає екологічна фізіологія.
науки є теоретичною основою для застосування знань у медицині, психології, спорті, косметології, для організації
виробництва одягу та взуття.
Розділ медицини, що вивчає будову і функціонування шкіри та її похідних, а також вплив на її стан різних чинників середовища називається дерматологією. Найбільш актуальними напрямми досліджень є дерматокосметологія (усунення шкірних порушень за допомогою косметологічних процедур), дермапатологія (вивчення шкірних захворювань на молекулярному та клітинному рівнях), трихологія (лікування порушень, пов’язаних з волосяним покривом), імунодерматологія (лікування імуноопосередкованих захворювань шкіри) та ін.
До переліку наук, що вивчають шкіру та
Діяльність Навчальне завдання. Як організована діяльність шкіри? Моделювання змісту. ФУНКЦІОНУВАННЯ ШКІРИ. ТЕРМОРЕГУЛЯЦІЯ. Розвивальне завдання. Які чинники порушують функціонування шкіри та сечовидільної системи? Конструювання онлайн-опитування (у сервісі Online Test Pad). Профілактика захворювань шкіри і сечовидільної системи. Ціннісне завдання. Проєкт
тем для виявлення допитливості та пізнавального інтересу
природничих проблем, цивілізованої взаємодії з природою.
Результат
Очікувані
• узагальнює знання та формулює висновок: про ФУНКЦІОНУВАННЯ
• розвиває творчі уміння формулювати
ситуації: про вплив чинників, що спричинюють
видільної системи і терморегуляцію
• виявляє ставлення на рівні індивідуальності
шкіри, терморегуляцію, сечовиділення, проблемно-пізнавальних
та ціннісних уявлень про ПОВАГУ
Саморозвиток Самооцінювання. Які мої результати
ШКІРИ, ТЕРМОРЕГУЛЯЦІЯ, ВИДІЛЕННЯ.
і не потрібно розділяти (Science and everyday life cannot and should not be separated), — стверджувала науковиця.
Імунітет — це дивний світ!
Справжній Всесвіт у межах нашого організму!
Данієль М. Девіс (1970) — професор імунології, автор низки книг, серед яких «Ген сумісності», «Таємне тіло», «Диво-імунітет»
§ 9.1. ІМУННА РЕГУЛЯЦІЯ
Переконуємось! «Поки ми займаємося рутинними офісними справами чи гуляємо парком, сьорбаючи каву, їдемо в метро чи приміряємо одяг у магазині, усередині нас, глибоко під шкірою, точаться справжнісінькі баталії. Мільйони крихітних організмів діляться, скорочуються, борються і вмирають заради нас. Саме так працює він — дивовижний та надзвичайно важливий людський імунітет.» (З анотації до книги). У чому ж дивовижність та значущість імунітету людини?
ЗМІСТ
Яка основна особливість імунної регуляції? У процесі еволюції людини сформувалися різні механізми, які надійно захищають здоровий організм від несприятливих впливів фізичних, хімічних або біологічних чинників середовища. Їх поділяють на три типи: 1) морфологічні (біологічні бар’єри, регенерація клітин ураженої тканини); 2) фізіологічні (активація обмінних процесів, утворення нових ферментів); 3) імунологічні (клітинний чи гуморальний імунітет). З усіх цих типів найбільш важливими є механізми імунної регуляції.
ІМУННА РЕГУЛЯЦІЯ — це регуляція за участю хімічних сполук й клітин, що поширюються в організмі рідинами
середовища для забезпечення захисного впливу. На відміну від нервової та гуморальної регуляції, які визначають морфологічну та фізіологічну сталість, імунна регуляція захищає генетичну сталість організму. Це захист від усього чужорідного, генетично відмінного, що потрапляє чи утворюється в організмі людини. У сучасній імунології поняття імунітету визначається як здатність організму розпізнавати і знищувати саме цей чужорідний матеріал. Під чужим розуміють не тільки хвороботворні віруси, мікроорганізми, токсини, перелиту кров чи пересаджені
складники молекулярного рівня, які називають гуморальними імунними чинниками. Це найрізноманітніші імунологічно активні
молекули, серед них, насамперед, речовини білкової природи — імуноглобуліни (антитіла), лізоцим, систему комплементу, інтерферон. Імуноглобуліни — це білкові молекулиантитіла, що утворюються в організмі на дію антигенів і мають властивість вступати з ними у взаємодію. Головна особливість цих захисних молекул — специфічність, тобто здатність
зв’язувати лише певний антиген. Імуноглобуліни утворюються В-лімфоцитами і за особливостями складу та функцій їх поділяють на 5 класів: IgG, IgA, IgM, IgD і IgE. Унаслідок контакту антитіла з відповідним антигеном утворюється комплекс «антиген–антитіло», у якому антиген втрачає свої властивості, нейтралізується або знищується. Лізоцим (мурамідаза) — білок-фермент, який руйнує клітинні
лонки бактерій, біоплівки, має противірусну дію.
курячого яйця, слині, сльозах, у складі кишкового
вродженого імунітету. Система комплементу
захисті.
в плазмі крові в неактивному стані
контакту з бактеріями чи вірусами. Основними функціями системи є руйнування клітин бактерій, стимулювання фагоцитозу та участь у запаленні. Інтерферони — це захисні білки, що утворюються проти вірусів. Інтерферони не мають безпосередньої противірусної дії, вони синтезуються вірус-інфікованими клітинами, надходять до інших клітин та активують у них противірусні механізми захисту. Інтерферони належать до великого класу білків-цитокінів, які забезпечують
152
імунітет.
ри.
імуноглобуліни
імунітет. Т-лімфоцити відповідають за специфічний клітинний імунітет. Літера Т у назві означає тимус — орган, у якому відбувається їх дозрівання. Основним призначенням Т-лімфоцитів є знищення чужих клітин (злоякісно трансформованих, інфікованих вірусами, мутантних клітин тощо). Природні кілери (NK-клітини) відіграють важливу роль у захисті організму від вірусних інфекцій та є невіддільною складовою протипухлинного імунітету. Вони здатні утворювати речовини, що примушують чужі клітини гинути.
Моноцити — великі рухливі клітини імунної системи з високою здатністю до фагоцитозу. Потрапляючи в тканини, вони перетворюються в макрофаги, які здатні до поглинання великих чужорідних часток і клітин.
Коротко про головне
Імунна регуляція
імунними чинниками є
сполуки — імуноглобуліни, лізоцим, система комплементу, інтерферони тощо. Клітинними імунними чинниками є лейкоцити, серед яких лімфоцити (Т-лімфоцити, В-лімфоцити, NK-клітини) та моноцити.
Діяльність
Навчальне завдання. Які особливості імунної регуляції? Опорна схема «Ієрархія». ІМУННА РЕГУЛЯЦІЯ.
Розвивальне завдання. Які особливості лейкоцитів визначають їх участь в імунній регуляції? Інтелектуально-розвивальна вправа. Лейкоцити, їх особливості та різноманітність.
Ціннісне завдання. Чому речовини і клітини імунної системи не знищують власні тканини організму людини? Вправа для визначення «Що таке ТОЛЕРАНТНІСТЬ»?
Результат Очікувані результати навчання (Учень / учениця...)
• визначає: особливості
• усвідомлює
One sometimes finds what one is not looking for. (Іноді
(1881–1955)
ще у 1922 році. Він виявляв лізоцим усюди і практично у всіх живих організмів: у слині людини та тварин, ікрі щуки, жіночому молоці, стеблах та листках рослин і навіть усередині лейкоцитів. Чому лізоцим є компонентом імунної системи?
ЗМІСТ
Яке значення імунної системи? Імунна система людини є складною та багатокомпонентною. Для неї характерні ієрархія рівнів організації, до її складу входять різні речовини (лізоцим, імуноглобуліни, система комплементу, інтерферони тощо), клітини (лімфоцити, моноцити та ін.), тканини (лімфоїдна) та органи (первинні та вторинні). Основними функціями імунної системи є: –
гомеостатична (визначає генетичну сталість організму);
–
захисна (розпізнавання, нейтралізація та знешкодження чужорідних речовин і клітин, модифікованих клітин, знищення пошкоджених власних клітин);
– регуляторна (утворення речовин, що беруть участь у процесах запалення, регенерації (наприклад, цитокінів, медіаторів запалення);
– адаптивна (визначає довічну, тривалу або короткочасну стійкість до інфекцій). Імунна система є основним об’єктом дослідження імунології. Засновниками науки були Едуард Дженнер, Луї Пастер, Ілля Мечников, Еміль фон Берінг, Пауль Ерліх. Серед видатних українських імунологів Д. Заболотний, М. Гамалія, О. Богомолець. Імунологія — це та галузь біології, яка має найбільшу кількість лауреатів Нобелівської премії з фізіології та медицини, серед яких
Біологія + Відкриття
нами.
Які особливості лімфоїдної тканини?
Для позначення імунних структур, у яких відбувається утворення лімфоцитів, в імунології існує збірний термін «лімфоїдна тканина». Її основу складає особливий різновид сполучних тканин, утворених ретикулярними клітинами та волокнами — ретикулярна сполучна тканина. Лімфоїдна тканина людини становить близько 1 % ваги тіла і є одним із найважливіших компонентів лімфоїдних органів (лімфатичні вузли, селезінка, тимус, мигдалики). На сьогодні прийнято виділяти окремі частини лімфоїдної тканини. Наприклад, лімфоїдна тканина, асоційована зі слизовими оболонками (травного каналу, дихальних шляхів, органів сечовиділення), чи лімфоїдна тканина, асоційована зі шкірою. Лімфоїдна тканина дуже чутлива до зовнішніх і внутрішніх впливів. Так, під дією рентгенівських променів лімфоцити швидко гинуть. Під дією гормонів щитоподібної залози, надниркових залоз лімфоїдна тканина може розростатися.
Іл. 55. Ретикулярна сполучна тканина
Біологія + Англійська мова Перекладаю англійську назву «reticular connective tissue».
Які органи імунної системи є первинними, а які — вторинними?
Органи імунної системи поділяються на первинні (органи, у яких утворюються лімфоцити) та вторинні (органи, у яких лімфоцити функціонують). Для них властивий тісний структурний та функціональний зв’язок між собою і з іншими тканинами організму за допомогою кровоносних та лімфатичних судин, якими переміщуються лейкоцити. Первинними органами імунної системи є тимус та кістковий мозок. Тимус (загрудинна залоза) — лімфоїдний орган, у якому утворюються Т-лімфоцити. Також у цій ендокринній залозі виробляються гормони (тимозин, тимопоетин), які забезпечують дозрівання різних
Т-лімфоцитів. Навіть у похилому віці лімфоїдна тканина тимусу повністю не зникає, залишаючись
сліпої кишки людини. У ньому велика кількість лімфатичних вузликів, які захищають від інфекції та онкологічних захворювань. Лімфатичні вузли — периферійні лімфоїдні органи, розташовані по ходу лімфатичних судин. Найбільші скупчення на шиї, у паху, стінках травного тракту й дихальних шляхів. Лімфа, що проходить крізь вузли, позбавляється сторонніх часток (бар’єрна функція). У лімфовузлах затримуються та знешкоджуються віруси, мікроорганізми, пухлинні клітини (фільтрувальна функція), які проникають із лімфою, утворюються імуноглобуліни і лімфоцити (імунна функція), чинники, що стимулюють гемопоез (регуляторна функція). Мигдалики — лімфоїдні органи, розташовані у глотці. Розрізняють 6 мигдаликів: два піднебінних (гланди), два трубні, глотковий, язиковий. Імунні клітини мигдаликів «знайомляться» з осілими на слизовій оболонці вірусами, бактеріями, алергенами і передають отриману інформацію до інших імунокомпетентних органів, знищують мікроорганізми, які потрапляють у ротову порожнину з повітрям та їжею, а також утворюють антитіла.
Коротко про головне ІМУННА СИСТЕМА — сукупність
Органи імунної системи поділяють
(тимус, кістковий мозок) та вторин
ні (селезінка, апендикс, лімфовузли, мигдалики).
Діяльність
Навчальне завдання. Як організована імунна система? Опис за таблицею «Будова та функції». ІМУННА СИСТЕМА.
Розвивальне завдання. Як довести взаємозв’язок імунної системи із кровоносною та лімфатичною? Інтелектуально-розвивальна вправа. Будова лімфатичного вузла.
Ціннісне завдання. Де розташовані гланди? Домашній практикум. Самоспостереження та опис піднебінних мигдаликів.
Результат Очікувані результати навчання (Учень / учениця...)
• описує: особливості
• формулює очікувані результати: для
156 Іл. 56. Лімфатичний вузол
§ 9.3. ІМУНІТЕТ
ня імунітету. Мечников вважав, що захисну функцію організму здійснюють лейкоцити (клітинна теорія імунітету), а Ерліх доводив, що захист забезпечують антитіла (гуморальна теорія імунітету). Але, як з’ясувалося згодом, в організмі захисну функцію виконують і клітини, і речовини.
ЗМІСТ
Які є стратегії імунітету? Імунітет забезпечується багатьма фізіологічними системами живого організму. Наприклад, шкіра, епітелій дихальних шляхів, слизова
оболонка травного каналу завдяки
ми для мікроорганізмів. Захисну функцію виконують секрети залоз, що містять
го соку, лізоцим сліз, молочна кислота поту. Важливе значення
серцево-судинна система та рідини внутрішнього середовища. Проте головну роль в імунному захисті відіграє імунна система, яка має повсюдне поширення в організмі. Цікаво, що все ж таки існують органи, до яких імунна система має обмежений доступ. Це так звані імунопривілейовані органи — головний мозок, очі, плацента, сім’яники, яєчники.
Загальною метою всіх захисних імунних механізмів є розпізнавання чужорідного матеріалу, мобілізація захисних ресурсів та швидке знешкодження. Для цього живі організми володіють двома стратегіями: неспецифічний (вроджений) та специфічний (адаптивний) імунітет.
Наукові тандеми Як морські зірки «допомогли» Мечникову сформулювати клітинну теорію імунітету?
Які основні механізми неспецифічного імунітету?
Стратегія неспецифічного імунітету має видовий (однаковий у всіх представників одного виду),
ного тракту, дихальних та сечовидільних шляхів) та хімічні (захисні речовини поту, сліз, слини, шлункового соку, жовчі) бар’єри створюють перший рівень неспецифічного імунного захисту. Наступний рівень формують вже внутрішні хімічні бар’єри, що перешкоджають поширенню та знищують чужорідний


через шкіру, стінки органів дихання й травлення. Основна роль в організації такого захисту належить системі комплементу, уявлення про яку започаткував ще у 1899 році Пауль Ерліх. Білки цієї важливої системи організовують фагоцитоз (позначають чужі клітини, які мають бути знищені фагоцитами), формують мембранний атакувальний комплекс (руйнує мембрани чужих клітин, що спричинює їх загибель), активують реакції запалення. До неспецифічного імунітету належать також імунні реакції за участю лейкоцитів, відкриті І. І. Мечниковим. Процес поглинання та перетравлення лейкоцитами мікроорганізмів називають фагоцитозом, а клітини — фагоцитами. Найбільшу фагоцитозну активність виявляють такі різновиди лейкоцитів, як моноцити та нейтрофіли. Біологія + Пошук інформації На ілюстрації — тучні клітини, відкриті та описані П. Ерліхом у 1877 році. За сучасними уявленнями це — імунні клітини, що відіграють важливу роль у запаленні, алергічних реакціях, утворенні кровоносних судин, регенерації клітин та гомеостазі. Їх багато у сполучних тканинах та слизових оболонках органів, що контактують із зовнішнім середовищем. У їхній цитоплазмі велика кількість гранул, що містять гістамін та гепарин. Цікаво, яка фізіологічна роль гістаміну?
Як формується специфічний імунітет? Стратегія специфічного імунітету формується лише після взаємодії з чужорідним антигеном. Специфічний імунітет має індивідуальний набутий неспадковий характер.
тет).
тичні клітини, трансплантати, пухлинні клітини.
властивості антигенів — це генетична чужорідність,
ність та специфічність. В-лімфоцити, що утворюються в кістковому мозку, виробляють антитіла. Антитіла — це білкові
відповідь на чужорідні білки. Усі антитіла — це імуноглобуліни п’яти класів, які забезпечують захист, зв’язуючи антигени. При першому контакті В-лімфоцита з антигеном здійснюється «запам’ятовування» антигена і поділ клітин. Більша частина утворених В-лімфоцитів осідає в лімфоїдній системі організму і перетворюється на плазмоцити, які продукують антитіла. Основою специфіного імунітету є реакції «антиген–антитіло». Взаємодія антигенів та антитіл відбувається між розпізнавальною групою антитіла (рецептором) та детермінантною групою антигена (епітопом), що ґрунтується на високій відповідності (комплементарності). Завдяки контакту антитіла з відповідним антигеном утворюється міцний комплекс «антиген–антитіло», у якому антиген втрачає свої патогенні властивості, нейтралізується та знищується. Коротко про головне
ІМУНІТЕТ (лат. immunitas — звільнення від будь-чого)
Діяльність
Навчальне завдання. Як формується імунітет? Пояснення з використанням схеми «Дерево» . ІМУНІТЕТ.
Розвивальне завдання. Яке значення для імунітету має здатність лейкоцитів до руху? ПРАКТИЧНА РОБОТА 9. Спостереження за рухом лейкоцитів у крові.
Ціннісне завдання. Чим вроджений імунітет відрізняється від адаптивного? Вправа для реагування. Механізми імунітету.
Результат
159
реакції на речовину, зазвичай викликає імунну відповідь
речовини і що таке імунна відповідь?
ЗМІСТ
Що таке імунна відповідь? Імунна відповідь розвивається
неспецифічних та специфічних імунних реакцій. Розрізняють
вроджену та адаптивну ланки імунної відповіді.
ної відповіді беруть участь речовини
клітини (клітинний компонент).
Вроджена імунна відповідь — це сукупність неспецифічних імунних реакцій для захисту
організму від зовнішніх чужорідних антигенів. Ця імунна відповідь відбувається за участю
бар’єрів, системи комплементу та клітин-фагоцитів (моноцити,
Іл. 58. Вроджена імунна відповідь: 1 — розпізнавання системою
чи антитілами (А) антигенів (В); 2 — опсонізація; 3 — нейтралізація; 4 — аглютинація; 5 — фагоцитоз
нейтрофіли, природні клітини-кілери). Основними захисними реакціями на цьому етапі є реакції опсонізації (маркування чужих клітин для знищення), нейтралізації (чужорідні тіла зв’язуються і втрачають свою токсичність), фагоцитозу (поглинання клітинами чужорідного матеріалу за участю мембран) та запалення. Запалення — це вроджена захисна реакція, що запобігає розповсюдженню в організмі антигенів та їхньому знищенню. Адаптивна імунна відповідь відбувається за участю клітин (дендритні клітини, Т-клітини та В-клітини) та речовин (імуноглобуліни, цитокіни). Антигени розпізнаються дендритними клітинами та презентуються для Т- і В-клітин імунної системи. Після цього й запускається цілий
Наукові тандеми Піонером використання лікувальних сироваток був лауреат Нобелівської премії 1901 року Еміль фон Берінг (1854–1917), який використовував морських свинок для виробництва цих препаратів. А що таке сироватка?
Які є форми імунної відповіді?
Клітинний імунітет — імунна відповідь, зумовлена зростанням кількості клітин, здатних до реагування на певний антиген. Після розпізнавання чужого антигена Т-лімфоцити диференціюються, розмножуються та забезпечують клітинні імунні реакції.
Гуморальний імунітет — імунна відповідь, зумовлена утворенням речовин в організмі. При контакті з антигеном утворюються В-лімфоцити, які синтезують специфічні антитіла і виділяють їх у кров або тканинну рідину. Імунологічна пам’ять — імунна відповідь у вигляді утворення довгоживучих Т- і В-клітин пам’яті, які при повторній зустрічі з антигеном здатні до швидкої та сильної відповіді. Наприклад, завдяки цим клітинам організм людини зберігає імунну пам’ять на антигени правця до 10 років.
Імунологічна толерантність вибіркова відсутність відповіді на конкретний антиген при повторній зустрічі. Так, під час вагітності розвивається імунологічна толерантність матері до плаценти й плоду. Порушення
до розвитку аутоімунних захворювань.
Які основні види адаптивного (набутого) імунітету?
Розрізняють природний і штучний імунітет, і кожен із них у наш час прийнято поділяти на активний та пасивний. Природний активний імунітет (післяінфекційний) виробляється в процесі життя після перенесення інфекційних захворювань. Перехворівши на кашлюк, кір, вітряну віспу, людина зазвичай
спадковий, видовий)
туберкульоз, поліомієліт та інші. Активний імунітет триває багато років. Штучний пасивний імунітет (післясиворотковий) виникає після лікувального щеплення — уведення в організм сироватки, яка містить готові антитіла.
При введенні лікувальних сироваток антитіла в організмі
Такий імунітет діє недовго — кілька місяців. Лікувальну сироватку одержують з плазми крові тварини або людини, які перехворіли на відповідну інфекційну
багато разів. Коротко про головне
ІМУННА ВІДПОВІДЬ.
Розвивальне завдання. Чому запалення є захисною реакцією? Інтелектуально-розвивальна вправа. Запалення як неспецифічна захисна реакція організму людини.
Ціннісне завдання. Чим відрізняються природний та штучний імунітети? Вправа для переконаності. Антитіла та імунологічна толерантність.
Результат Очікувані
Оцінюємо! «Зробивши мазок легеневої тканини на предметному скельці, науковець висушив його і помістив у розчин синього барвника. Розглянув під мікроскопом і побачив між клітинами легеневої тканини багаточисельні тоненькі палички мі-
кобактерій». Так 24 березня 1882 року відбулося відкриття збудника смертельної недуги — туберкульозу, за що цей німецький учений Роберт Кох отримав Нобелівську премію (1905). Чому так важливо
ЗМІСТ Які особливості протиінфекційного
Інфекція — це сукупність реакцій організму, що виникають у результаті його взаємодії з хвороботворними організмами. Біологічні агенти, яким властива здатність спричинювати захворювання, називають патогенами, або інфекційними агентами. Це можуть бути еукаріоти (гриби, одноклітинні еукаріоти, черви-гельмінти), прокаріоти (бактерії), неклітинні форми життя (віруси), білки (пріони). Серед захисних реакцій проти цих агентів визначальну роль відіграють імунні. ПРОТИІНФЕКЦІЙНИЙ ІМУНІТЕТ — сукупність захисних імунних реакцій проти різних патогенів. Інфекційні агенти відрізняються між собою здатністю проникати в організм, виробляти отруйні речовини-токсини, що пригнічують опірність організму хазяїна, складністю будови, функцій, особливостями розмноження тощо, тому протиінфекційний імунітет класифікують на противірусний, протибактеріальний, протигрибковий, протигельмінтний. Кожний із видів має свої особливості. Наприклад, основним механізмом антибактеріального захисту є фагоцитоз; захисні реакції організму проти вірусів спрямовані на знешкодження як самих вірусних часток, так і заражених


згодом до захворювання. Наявність збудника, циклічність перебігу, формування специфічного імунітету в макроорганізмів у відповідь на проникнення — ось ті окремі ознаки, що відрізняють інфекційні захворювання від інших хвороб.
На сьогодні науці відомо понад 1300
Ознаки інфекційних захворювань
1. Наявність патогенного мікроскопічного збудника
2. Схильність до широкого епідемічного поширення
3. Циклічність протікання (послідовна зміна періодів)
4. Імовірність розвитку затяжних та хронічних форм
5. Формування імунітету в макроорганізмів
6. Здатність передаватися від хворого здоровому
інфекційних захворювань та їх кількість збільшується. Серед них є особливо небезпечні інфекції. Це група захворювань людини, які можуть раптово виникнути, швидко поширитись у вигляді епідемій чи пандемій і масово охопити населення, а також характеризуються тяжким перебігом і високою смертністю. До групи належать такі: чума, холера, натуральна віспа, хвороби, які спричинюють віруси Ебола, Зіка, висипний і поворотний тиф, грип, поліомієліт, СНІД, сибірська виразка, коронавірусні захворювання та ін. За природою збудників розрізняють вірусні (кір, грип, СНІД, вірусні гепатити), пріонні (фатальне сімейне безсоння, губчаста енцефалопатія), бактеріальні (холера, чума, дизентерія, стафілококова і стрептококова інфекції, сальмонельоз), грибкові (епідермофітія, кандидоз, мукоромікоз) захворювання.
Які основні шляхи зараження інфекційними збудниками? Передача збудників від хворого організму може відбуватися різними шляхами за участю різних чинників. Це повітря, вода, харчові продукти, ґрунт, предмети вжитку, живі переносники. Шляхи передачі інфекції — це чинники, що забезпечують перенесення інфекційного агента від хворого організму або від організму-носія до здорового. Аліментарний шлях визначається зараженням збудниками інфекцій через харчові продукти. Через молоко та молочні продукти передаються ящур, туберкульоз, черевний тиф; через м’ясні продукти, яйця, рибу — збудники сальмонельозу, ботулізму; через овочі, фрукти — кишкові інфекції.
Водний шлях зараження властивий для збудників захворювань органів шлунково-кишкового
Діяльність
Навчальне завдання. Як організм людини захищається від інфекцій? Оцінювання знань з використанням схеми «Дерево». ПРОТИІНФЕКЦІЙНИЙ ІМУНІТЕТ.
Розвивальне завдання. Які особливості має противірусний імунітет? Інтелектуально-розвивальна вправа. Формування імунітету проти коронавірусу SARS-CoV-2.
Ціннісне завдання. Як потрапляють в організм збудники інфекційних захворювань? Вправа для формування вибірковості. Механізми зараження та шляхи передавання інфекції. Результат
Очікувані результати навчання (Учень /
•
• оцінює результати:
• виявляє ставлення на рівні вибірковості та
механізми зараження інфекцією для збереження здоров’я
Саморозвиток Самонавчання. Ціннісно-емоційне завдання. «Що має знати кожна людина?..» Фрейм «...про коронавірусну хворобу 2019».
Самооцінювання. Продуктивно-творче завдання. Тест-створення. Інфекційні захворювання. Біологія + Видатні жінки-науковиці + Англійська мова Знайомтеся: Франсуаза БарреСінуссі (1947) — лауреатка Нобелівської премії з фізіології або медицини (2008) «за відкриття вірусу імунодефіциту людини (ВІЛ)». «Ми не робимо науку для науки. Ми робимо науку на благо людства», — відзначила французька науковиця. (We are not making science for science. We are making science for the benefit of humanity).
Пригадуємо! Щороку останнього тижня квітня відзначається Всесвітній тиждень імунізації (World Immunization Week). У 2024 році тема тижня була: «Людські можливості: імунізація для всіх». Активна імунізація запобігає 2–3 мільйонам смертей щороку і призвела до значного зниження захворювань, яких можна не допустити за допомогою вакцин: туберкульоз, поліомієліт, гепатит, грип, кір, краснуха, жовта лихоманка, правець, дифтерія, кашлюк тощо. Що таке імунізація?
ЗМІСТ Які чинники впливають на імунну регуляцію? Розділ імунології, що вивчає вплив чинників фізичного, хімічного та біологічного походження на імунну систему, називається екологічною імунологією.
Серед фізичних чинників слід відзначити
іонізуючого випромінювання (альфа, бета-, гамма-промені, рентгенівське випромінювання), яке загалом є шкідливим і небезпечним для живих істот у значних дозах, але може мати користь у невеликих кількостях. Найбільш несприятливими наслідками впливу іонізуючого випромінювання на імунну систему є ураження кісткового мозку, загибель Т- і В-лімфоцитів, порушення механізмів відновлення пошкоджених клітин, втрата здатності знищувати пухлинні клітини тощо. Дію іонізуючих випромінювань на живі організми та їх угруповання вивчає радіобіологія.
Серед хімічних чинників небезпечними для імунної системи є отрути, які за певних умов («доза-ефект», «доза-час», стан організму) можуть виявляти шкідливий вплив на людей і тварин. Наприклад, нітрити порушують утворення лейкоцитів, хімічні алергени (барвники, ацетон, антибіотики тощо) провокують надмірну імунну відповідь, канцерогени (пестициди, формальдегід,
відсутність фізичних навантажень, шкідливі звички, психоемоційна обстановка в сім’ї і в колективі, необґрунтоване вживання лікарських препаратів
Біологія + Латина Рослин, які стимулюють імунітет, на світі багато, і в Україні їх теж не бракує. Називаю зображену рослину, латинська назва якої Echinacea purpurea.
Які особливості імунних захворювань?

Імунні захворювання класифікують на групи: імунодефіцитні (пов’язані з недостатньою активністю імунної відповіді), імунопроліферативні (характерна злоякісна зміна клітин імунної системи), аутоімунні захворювання (розвивається імунна відповідь на білки власного організму), алергії (виникають унаслідок підсиленої імунної відповіді на сторонні білки), гемолітична хвороба новонароджених (зумовлена імунним конфліктом організмів матері і плода). Імунодефіцит — це спадкове або набуте імунне порушення, спричинене недостатністю імунної відповіді на дію певних чинників (гіпоімунна відповідь). У разі набутих імунодефіцитів, що є більш поширеними, імунні порушення розвиваються впродовж життя. Основними причинами набутих імунодефіцитів можуть стати: – порушення раціонального харчування і виснаження організму; – хронічні інфекції та паразитарні хвороби, що призводять до пригнічення функції кровотворення, отруєння організму, підвищення чутливості до різних антигенів;
– великі втрати крові, опіки або захворювання нирок, при яких втрачаються захисні білки;
– важкі травми й операції, що супроводжуються порушенням обміну речовин та виділенням великої кількості гормонів надниркових залоз, які пригнічують імунну систему; – ендокринні порушення (цукровий діабет, мікседема) ведуть до зниження імунітету за рахунок порушень обміну речовин; – уживання різних лікарських препаратів і наркотичних засобів, що можуть виявляти побічну дію, пригнічуючи імунний захист. До найповніше вивчених набутих імунодефіцитів відносять синдром набутого імунодефіциту (СНІД)
імунодефіциту
(ВІЛ). Ці РНК-вмісні віруси паразитують у Т-лімфоцитах.
є деякі харчові продукти (шоколад, цитрусові), запахи (квітів, парфумів), лікарські препарати; внутрішніми — власні тканини організму з видозміненими властивостями (наприклад, при опіках омертвілі тканини стають чужорідними для організму). Алергени можуть потрапляти в організм крізь шкіру та слизові оболонки або надходити в кров із вогнищ запалення. Причиною алергії є гістамін, що виділяється лейкоцитами, коли алерген потрапляє в організм. Молекули цієї речовини у великій кількості викидаються в кров, і як результат — алергічні реакції. Проявляється алергія розширенням судин, почервонінням шкіри, висипами на шкірі (кропивниця), звуженням дихальних шляхів унаслідок розбухання їх слизових оболонок, набряками, нежиттю, чханням, запаленням слизової оболонки ока тощо. Схильність до алергії передається в спадок. Якщо один із батьків страждає на алергію, імовірність того, що й у дитини станеться це порушення, становить 25 %. При алергії підвищується стомлюваність, посилюється дратівливість, знижується імунітет. Головне для лікування алергії — виявити той алерген, який викликає нездужання. Біологія + Історія Найзнаменитішим алергіком був французький імператор Наполеон І Бонапарт (1769–1821). За свідченням істориків, напад «весняної нежиті» на пилок рослин трапився з ним під час знаменитої та вирішальної для періоду
Наполеонівських війн битви при Ватерлоо. А як медики називають «весняну нежить»?
Яке значення має імунізація?
Імунізація (вакцинація) — спосіб захисту від інфекцій шляхом уведення в організм антигенів чи антитіл для формування захисної імунної відповіді. На сьогодні імунізація є одним з найефективніших методів боротьби з правцем, дифтерією, гепатитом, кашлюком, поліомієлітом та ін. Імунізація забезпечує активну та пасивну біологічну стійкість до інфекційних захворювань. Активна імунізація передбачає щеплення, а пасивна — уведення сироваткових препаратів. У більшості випадків імунізація відбувається за допомогою ін’єкцій. Препарат, що вводять, називається вакциною.
щепленням необхідний огляд лікаря, який вимірює температуру тіла, оглядає порожнину рота, горла, прослуховує легені. Тільки після всього цього видається направлення на проведення вакцинації.
Коротко про головне
На імунну систему впливають зовнішні (фізичні, хімічні, біологічні) та внутрішні (гормональний баланс, мікробіота шкіри та травного тракту) чинники.
Імунні захворювання — вроджені або набуті хвороби, спричинені порушенням функціонування імунної системи.
Імунізація допомагає захистити людей
інфекційних захворювань, а також сприяє зниженню поширеності захворювань
епідемії.
Діяльність
Навчальне завдання. Які особливості імунної регуляції організму людини? Моделювання змісту теми. ІМУННА РЕГУЛЯЦІЯ.
Розвивальне завдання. Які чинники середовища впливають на імунну регуляцію? Схема «Дерево». Природні та соціальні чинники імунної регуляції.
Ціннісне завдання. Проєкт на одну із тем щодо цінування здобутків учених природничих наук і винахідників, зацікавленості в популяризації науки рідною мовою.
НІСТЬ ЛЮДИНИ Саморозвиток Самооцінювання. Які
+ Видатні жінки-науковиці + Англійська мова Знайомтеся: Розалін
(1921–2011) — американська
атка
(1977)
визначення пептидних гормонів». «Єдина різниця між чоловіками та жінками в
в тому, що жінки мають дітей» (The only difference between men and women in science is that the women have the babies). Цікаво, як називається наука, що вивчає гормони?
Новини науки! Група американських учених розробила вакцину проти ожиріння. Препарат містить імунні антитіла, що
нейтралізують гормон грелін, який регулює відчуття голоду. Утворюється грелін переважно клітинами шлунка й товстої кишки. Чому цей приклад є проявом ендокринної
регуляції, а не імунної?
ЗМІСТ
Які особливості ендокринної регуляції?
Ендокринна регуляція є частиною гуморальної регуляції
особливості на кожному з рівнів організації.
Молекулярний рівень. Ендокринна регуляція здійснюється
гормоноїдів). Ці біологічно
спеціалізованими ендокриноцитами та неспеціалізованими клітинами багатьох тканин та органів.
Клітинний рівень. Типовий спосіб передачі інформації між клітинами — це ендокринна сигналізація з використанням рідин внутрішнього середовища. Тому клітини-учасники мають пристосувальні особливості будови для утворення, розпізнавання, сприйняття сигналів.
Тканинний рівень. Основою ендокринної регуляції є залозистий епітелій, а також нервова (у разі нейросекреції) та сполучні тканини (кров, лімфа, жирова).
Рівень органів. Більшість гормонів синтезується ендокринними залозами, які, на відміну від залоз зовнішньої секреції, позбавлені вивідних проток, мають надзвичайно густу сітку кровоносних судин та виділяють свої секрети в рідини внутрішнього середовища. Системний
в ендокринну систему.
Біологія + Фразеологія Грелін
Які особливості клітин, здатних утворювати гормони?
Секреція гормонів є функцією
спеціалізованих клітин, що мають ряд особливостей. Розглянемо їх на
прикладі ендокриноцитів залозистого епітелію. Його клітини щільно
прилягають одна до одної, розташовуються на базальній мембрані. Від інших клітин їх можна відрізнити
полярним розташуванням органел, наявністю секреторних гранул. Для
позначення клітин ендокринних залоз уживається термін ендокриноцити. Особливості їх будови пов’язані
з функцією внутрішньої секреції.
Тому в цитоплазмі ендокриноцитів
наявні добре розвинені органели: ендоплазматична сітка (синтезуються білки, ліпіди, вуглеводи), комплекс Гольджі (утворення секреторних
пухирців), рибосоми (синтез білків).
Процеси секреції потребують значної кількості енергії, тому в кліти-
нах велика кількість мітохондрій.
В ендокриноцитів досить тонкі клітинні мембрани, що сприяє видаленню гормонів із секреторних міхурців у тканинну рідину. Поруч із цими
клітинами завжди розташовані тонкостінні кровоносні судини, що поглинають гормональні продукти для транспортування до клітин-мішеней. Ендокриноцити мають тісні контакти з нервовими закінченнями, що пов’язано з участю нервової системи в регуляції
Біологія + Міфологія
Стародавній Греції богиня правосуддя Феміда зображена із
час безпосереднього
ній відстані. До утворення гормоноподібних речовин здатні клітини жирової тканини (лептин), лімфоцити (цитокіни, лейкотрієни), тромбоцити (тромбоцитарний чинник росту, тромбоксани), нейрони (нейрогормони гіпоталамусу, нейромедіатори) та ін. В ендокринній регуляції беруть участь шлунок (утворює гастрин, грелін), тонка кишка (секретин), печінка (інсуліноподібні чинники росту), серце (натрійуретичний гормон), нирки (еритропоетин, ренін), плацента (естрогени), передміхурова залоза (тестостерон, простагландини) та ін. Усю сукупність цих речовин, клітин та органів об’єднують у дифузну
систему. Коротко про головне
Діяльність Навчальне завдання. Які особливості ендокринної регуляції?
на схема «Ієрархія». ЕНДОКРИННА РЕГУЛЯЦІЯ. Розвивальне завдання. Чи існує зв’язок між будовою та функціями ендокриноцитів? Інформаційно-пошукова вправа. Особливості будови ендокринних клітин. Ціннісне завдання. Чи справедливим є розподіл обов’язків імунної та ендокринної регуляції в організмі
Що таке СПРАВЕДЛИВІСТЬ? Результат
Усвідомлюємо! Олег Горникевич (1926–2020) —
австрійський невролог українського походження. Здійснив відкриття про те, що основною причиною хвороби Паркінсона є нестача нейромедіатора дофаміну в головному мозку. Молекули цієї речовини
відіграють ключову роль у контролі рухів м’язів, і
її нестача призводить до «тремтливого паралічу». А чому дофамін називають гормоном?
ЗМІСТ
Які властивості та функції гормонів? ГОРМОНИ
процеси росту і розвитку
(гормон росту), статеве дозрівання та розмноження (статеві гормони), реакцію організму на стресові ситуації (адреналін, кортизол), визначають формування відчуттів (грелін, лептин) та психічних явищ (дофамін, серотонін). До основних функцій гормонів належить і регуляція діяльності ендокринних залоз. В організмі людини немає жодної фізіологічної функції, яка
не перебувала під впливом гормонів, дію яких визначають їх властивості: – висока біологічна активність — визначається здатністю гормонів у дуже низьких кількостях викликати зміни процесів в організмі; – специфічність дії — гормони можуть взаємодіяти з певними клітинами-мішенями завдяки наявності в них молекул-рецепторів; – дистантність дії — прояв
нах-мішенях, розташованих на відстані від залози; – відносно постійний вміст у крові — після виконання своєї функції гормони швидко інактивуються в печінці, нирках, травному каналі або перетворюються в інші сполуки;
полярність
гормони
стероїдні, похідні амінокислот та похідні жирних кислот.
Пептидні гормони — чисельна і найбільш різноманітна
мональних сполук. Синтезуються ці гормони з амінокислот у клітинах ендокринних залоз (гормон росту, інсулін, глюкагон, окситоцин) та неспеціалізованих клітинах органів тіла (грелін, лептин, гастрин). Завдяки водорозчинності здатні переміщуватися в крові у вільній формі. На клітини-мішені впливають
мембран.
Стероїдні гормони утворюються
їхні
клітинах статевих (
ниркових (глюкокортикоїди, мінералокортикоїди) залоз.
транспортують прості білки, а на клітини-мішені впливають через внутрішньоклітинні рецептори.
Похідні амінокислот утворюються з окремих амінокислот. У цій групі окремі гормони епіфізу (мелатонін), гіпоталамусу (дофамін), надниркових залоз (адреналін, норадреналін), щитоподібної залози (тироксин). Серед них є водо- та жиророзчинні сполуки, які діють на клітини через їх зовнішні чи внутрішні рецептори.
Похідні жирних кислот (ейкозаноїди) мають ліпідну природу. Їх період півжиття надзвичайно короткий, тому свої ефекти чинять як «гормони місцевої дії». У групі — простагландини, лейкотрієни, тромбоксани, аспірин. За характером дії гормони поділяють на тропні (регулюють діяльність ендокринних залоз) та ефекторні (регулюють життєві функції).
Біологія + Література Джонатан Свіфт у своїй всесвітньо відомій книзі «Мандри Гуллівера» описує пригоди суднового лікаря Лемюеля Гуллівера, який потрапляє у країни ліліпутів та велетнів. Цікаво, а який гормон безпосередньо пов’язаний із ростом організму людини?
Який механізм дії
2) проникненням гормону
мембрану і зв’язуванням із рецепторами цитоплазми, після чого гормон-рецепторний комплекс проникає в ядро клітини, де і реалізує свій регуляторний ефект шляхом синтезу нових ферментів (гідрофобні гормони).
Взаємодія гормонів з рецепторами змінює клітинну активність і призводить до збільшення або зменшення фізіологічного процесу в організмі.
Біологія + Міфологія Розв’язую анаграму і дізнаюся, як називається
міфології.
та внутрішніми рецепторами клітин.
Діяльність
Навчальне завдання. Чому гормони — біологічно активні речовини? Опис з використанням схеми «Тетрада». ГОРМОНИ.
Розвивальне завдання. Які причини різноманітності гормонів? Інформаційно-пошукове завдання. Основні групи гормонів.
Ціннісне завдання. Справедливість — моральна якість та чеснота, що повинна створювати рівні можливості діяльності та права. Чому одні гормони можуть проникати в клітину, а інші — ні? Чи «справедливим» є такий розподіл можливостей гормонів? Вправа для сприймання. Дія гормонів на клітини. Результат
•
де Борде (1722–1776) — французький лікар, філософ, поет
Застосовуємо! Одним із найвідоміших видань, присвячених аспектам діяльності ендокринної системи, є підручник «Ендокринологія» за ред. Комісаренко Ю. І., Михальчишин Г. П., яке вийшло у світ у 2024 році. Цікаво, чому на обкладинці медично-
го підручника фрагмент картини Леонардо да Вінчі
«Мадонна Літта» (1490–1491)?
ЗМІСТ
Який склад ендокринної системи?
У складі ендокринної системи
організму людини — ендокринні
залози, ендокринні клітини, тка-
нини та органи інших фізіологіч-
них систем.
До центральних органів нале-
жать гіпоталамус, гіпофіз, епіфіз, до периферійних — щитоподібна, прищитоподібні, надниркові, підшлункова та статеві залози.
Органи центрального відділу тісно
пов’язані з нервовою системою і
координують діяльність інших ла-
нок ендокринної системи. Органи
периферійного відділу здійснюють
регуляційний вплив на організм:
посилюють або послаблюють процеси життєдіяльності залежно від умов середовища.
Усі ендокринні клітини, які
знаходяться поза межами ендокринних залоз у складі
тканин, розглядаються як дифузна ендокринна система. Секрети цієї системи здебільшого
Іл. 61. Ендокринна система: 1 — гіпоталамус; 2 — епіфіз; 3 — гіпофіз; 4 — щитоподібна залоза; 5 — прищитоподібні залози; 6 — тимус; 7 — надниркові залози; 8 — підшлункова залоза; 9 — яєчники; 10 — яєчка
регулює ритми «сон–бадьорість»?
Як організована діяльність ендокринної системи?
Діяльність ендокринної системи організована за певними принципами.
Принцип взаємодії вказує на те, що ендокринні органи функціонують не ізольовано, а пов’язані у своїй діяльності в єдину систему. Так, гормони гіпофіза впливають на роботу щитоподібної, підшлункової, надниркових та статевих залоз, гормони статевих залоз — на роботу щитоподібної залози, а гормони щитоподібної — на статеві.
Принцип ієрархічності полягає в тому, що внутрішньоклітинні процеси підпорядковані регуляції на рівні органів. Наприклад, основна вісь нейрогуморальної регуляції має такий вигляд: гіпоталамус — гіпофіз — ендокринні залози — клітини-мішені. «Координаційним центром» ендокринної регуляції є гіпоталамус, нейрони якого секретують ряд регуляторних нейрогормонів (ліберини). Ці гормони через портальну систему кровоносних судин надходять у гіпофіз та стимулюють секрецію тропних гормонів. Принцип
регуляції. Так, якщо в крові людини зростає рівень глюкози,
одразу знижується виділення
зовнішнього середовища. Так, вплив холоду, стресових ситуацій спричинює стан емоційного
секреція адреналіну.
Біологія + Медицина Бернардо
1971) — аргентинський
Нобелівську премію
відкриття ролі гормонів
Це тому, що ендокринна сигналізація,
впливи ендокринної системи
яльності
відповіді. Наприклад, тимус відповідає за диференціацію Т-лімфоцитів. Адаптація. Гормони надниркових залоз — глюкокортикоїди — підвищують стійкість організму до впливу стресорів. Ці молекули пристосовують організм до несприятливого впливу середовища, і тому їх ще називають адаптивними гормонами (адреналін, кортизол).
Репродукція. Регуляцію репродуктивної функції, формування первинних і вторинних статевих ознак відбувається за участю статевих гормонів.
Біологія + Етика Як формулюється золоте правило моралі?
Коротко про головне
умовою життєдіяльності організму.
Діяльність
Навчальне завдання. Яке значення ендокринної системи? Пояснення з використанням схеми «Будова та функції». ЕНДОКРИННА СИСТЕМА.
Розвивальне завдання. Чи взаємопов’язана ендокринна система з іншими системами? Інформаційно-пошукова вправа. Взаємозв’язки ендокринної системи з іншими системами організму людини Ціннісне завдання. У 2012 році працівники Кіотського університету опублікували статтю про взаємозв’язок рівня серотоніну і почуття справедливості людини. Цікаво, яким чином гормони впливають на людські емоції? Вправа для реагування. Серотонін та поведінка людини.
Результат
Очікувані результати навчання (Учень / учениця...) • пояснює: особливості
них потреб кожного моменту, але також існує рівновага між секрецією різних залоз. Рівень цукру в крові… підтримується в межах норми, тому існує рівновага між залозами внутрішньої секреції, які знижують рівень цукру в крові (підшлункова залоза), і тими, які його підвищують (передній гіпофіз, надниркові залози, щитоподібна залоза тощо)». Цікаво, як ендокринні залози так узгоджено співпрацюють?
ЗМІСТ
Які особливості залоз внутрішньої секреції?
ЕНДОКРИННІ ЗАЛОЗИ (лат. glandulae endocrinae) утворені ендокриноцитами або нейроендокринними клітинами, мають густу сітку кровоносних судин, багато нервових
епіфіз, щитоподібна та прищитоподібні залози, тимус і надниркові залози. Усі вони мають тісні зв’язки з нервовою та імунною системами з утворенням функціональних систем для надійної регуляції гомеостазу, захисту, адаптації, поведінки тощо. Наприклад, гіпоталамус, гіпофіз, надниркові залози утворюють стрес-реалізуючу систему. Вищим центром ендокринної системи, який координує функціонування ендокринних залоз та об’єднує ендокринні механізми регуляції з нервовими, є гіпоталамус. Свої зв’язки з ендокринними залозами цей відділ проміжного мозку реалізує через
види нейрогормонів: статини (пригнічують виділення інших гормонів) та ліберини (посилюють їх дію).
Яке значення залоз внутрішньої секреції? Гіпофіз (нижній мозковий придаток) — непарна ендокринна залоза, розташована в головному мозку. Це невеликий утвір, масою до 0,5 г, має три частки: передню, проміжну та задню. Передня частка гіпофіза виробляє гормони, які регулюють зріст людини


динника». В епіфізі синтезується гормон мелатонін, який запобігає передчасному статевому розвитку, бере участь у біологічних ритмах організму та ін. Світло здійснює гальмівний вплив на активність епіфіза, а темрява — стимулювальний. Під впливом сонячного світла в епіфізі виробляється серотонін, а в нічний час — мелатонін. В останні роки з мелатоніном пов’язують також сповільнення процесів старіння та подовження тривалості життя людини. Щитоподібна залоза (тиреоїдна залоза) — непарна ендокринна залоза, розташована на передній поверхні щитоподібного хряща гортані. Вона прикріплюється до трахеї та гортані щільною волокнистою тканиною і складається з правої та лівої дольок, з’єднаних перешийком. Це найбільша з ендокринних залоз, маса якої — близько 30–60 г. Щитоподібна залоза виділяє йодовмісні гормони тироксин і трийодтиронін та гормон тиреокальцитонін. Тироксин і трийодтиронін стимулюють ріст і розвиток органів і тканин, особливо кісткової та нервової. Крім того, вони прискорюють обмін речовин і виділення енергії. Тиреокальцитонін регулює
його збереженню
подібні та щитоподібна залоза
Загальна маса цих найдрібніших залоз — близько 0,3 г. Клітини залоз синтезують паратгормон, який регулює обмін Кальцію. Тимус (загрудинна, або вилочкова, залоза) — непарна ендокринна залоза, розташована за грудиною. Ця залоза складається із залозистих клітин, які утворюють дві частки, що нагадують вилочку. Маса і розміри залози змінюються з віком. У новонародженого вона важить близько 12 г, у підлітковому віці — близько 40 г, а після статевого дозрівання маса залози поступово зменшується, заміщується
маса надниркових залоз досягає 10–14
шар виробляє гормони кортикостероїди, які регулюють водно-сольовий обмін та обмін білків, жирів і вуглеводів. Мозковий шар виділяє гормони адреналін та норадреналін, що забезпечують негайну мобілізацію ресурсів організму, активізацію функцій органів, спрямовану на виживання організму в стресових ситуаціях. Функції надниркових залоз складні та різноманітні: вони регулюють обмін речовин, тиск крові, тонус м’язів, стан імунітету та ін.
Біологія + Мистецтво Диригент (лат. dirigio спрямовую) — людина, яка забезпечує підготовку твору до виконання та керує виконанням твору оркестром, хором, ансамблем. Чому гіпофіз називають диригентом оркестру залоз?
Які особливості залоз змішаної секреції?
Залози змішаної секреції (або гетерокринні залози) здатні до
нішньої та внутрішньої секреції. До них належать підшлункова залоза, статеві та слинні
ендокринні клітини, які продукують гормони та гормональні речовини, а також клітини, які виділяють секрети. Наприклад, слинні залози секретують слину та утворюють інсуліноподібний чинник росту. Підшлункова залоза — це непарна залоза, яка виробляє травний сік (зовнішня секреція) та гормони (внутрішня секреція). Ця травна залоза розташована позаду шлунка, складається з головки, тіла і хвоста. Підшлункова залоза має вигляд видовженої пірамідки завдовжки 20 см. Гормони підшлункової залози — інсулін і глюкагон — регулюють обмін вуглеводів. Підвищення секреції інсуліну веде до збільшення поглинання глюкози клітинами і відкладання в печінці та м’язах глікогену, зниження
апарату. У період статевого дозрівання вони відповідають за формування вторинних статевих ознак, впливають на ріст, обмін речовин, фізичний та психічний розвиток.
Біологія + Медицина У цій залозі близько 1 млн
острівців ендокринних клітин, що утворюють інсулін, глюкагон, грелін, соматостатин і деякі інші речовини.
Їх вперше відкрив та описав ще у 1869 році німецький
анатом Пауль Лангерганс. Використайте запропоновані склади та запишіть латинську назву залози, у якій розташовані
CRE PAN AS
підшлункової, статевих, слинних.
Діяльність
Навчальне завдання. Яка причина різноманітності ендокринних залоз? Самостійне перетворення знань у графічну форму. ЕНДОКРИННІ ЗАЛОЗИ.
Розвивальне завдання. Як «співпрацюють» ендокринні залози? ПРАКТИЧНА РОБОТА 10. Гіпоталамо-гіпофізарна система.
Ціннісне завдання. Чи існує зв’язок між ендокринними залозами та справедливістю? Вправа для переконаності. Статеві гормони та репродуктивна справедливість.
Результат
Стрес
це аромат і смак життя. Ганс Сельє (1936–1989) — канадський біолог, автор теорії стресу
§ 10.5. СТРЕС
Оцінюємо! Вважають, що стрес — реакція організму на дію неприємного, шкідливого чинника.
Але фізичні навантаження, заняття спортом — це чинники, що мають корисне значення для людини. Чому і за яких умов вони можуть стати стресовими?
ЗМІСТ
За яких умов чинники називають стресовими?
СТРЕС (від англ. stress — напруження) — неспецифічна нейрогуморальна відповідь, що виникає під дією
сильних
(стресорів) і спрямована на адаптацію організму. Термін «стрес» у науку вперше ввів у 1932 році У. Б. Кеннон у роботах з універсальної реакції «боротися чи втікати». Для людини стресорами можуть бути тривале голодування з метою схуднення, надмірна кількість їжі і питва, постійна самотність чи присутність інших людей, впливи конфлікту чи довгоочікуване народження дитини. Будь-які зміни в житті людини, що змушують організм напружуватися, будуть стресорами. Але головною ознакою, що визначає статус стресора, є порушення гомеостазу. За природою впливу чинники стресу людини поділяють на групи: фізичні (спека, холод, вітер), хімічні (впливи вуглекислого газу, токсинів, солей), біологічні (інфекційні захворювання, нестача чи надлишок їжі, вплив паразитів) та соціальні (страх, небезпека, конфлікти). За вихідним джерелом впливу стресори можуть бути зовнішніми (екзогенними) (наприклад, травми) та внутрішніми (ендогенними) (наприклад, біль). Вплив стресорів залежить від їхньої інтенсивності й тривалості дії, фізичного та психологічного стану організму. Так, позитивні емоції можуть зменшити негативний тривалий вплив тривоги і переживань, а негативні — посилити дію на організм. Необхідно зазначити, що не кожен вплив викликає стрес. Слабкі впливи
коли вплив стресора (незвичного для людини об’єкта, явища або яких-небудь інших чинників зовнішнього середовища) перевершує звичайні
стрес-гормонів, що сприяють мобілізації адаптивних функцій органів і забезпечують збільшення їх енергозабезпечення.
збільшення секреції соматотропіну, що активує обмін речовин.
Яке біологічне значення стрес-реакцій?
У відповідь на дію стресорів в організмі виникають стрес-реакції, що є складовою загального адаптаційного синдрому. Загальний адаптаційний синдром — сукупність адаптивних реакцій, що виникають в організмі людини
ферментів — протеїнкіназ; 2) активація
збільшенню активності ліпаз і фосфоліпаз; 3) мобілізація енергетичних і структурних ресурсів організму, що виявляється у збільшенні в крові концентрації глюкози, жирних кислот, амінокислот; 4) спрямована передача енергетичних і структурних ресурсів у функціональну систему, що здійснює цю адаптаційну реакцію; 5) активація синтезу нуклеїнових кислот і білків у різних органах. Адаптаційний синдром проходить у три стадії. Стадія тривоги (аларм-реакція, короткочасна адаптація) забезпечує негайну мобілізацію захисних сил організму. Так, під впливом гормонів у людини збільшується частота і сила скорочень серця, підвищується артеріальний тиск, рівень глюкози в крові, розширюються бронхи, звужуються кровоносні судини тощо. Стадія опірності (довгострокова адаптація) характеризується відновленням порушеного
системи
сягається відновлення гомеостазу. Це реалізується тільки у випадку, якщо сила і тривалість дії стресора помірні. Надмірний і тривалий вплив стресорів викликає перетворення адаптивних ефектів в шкідливі, що призводить до порушення функцій і пошкоджень органів і тканин. Пошкоджувальними ефектами стрес-реакції можуть бути такі: перевантаження клітин Са2+ і жирними кислотами, що призводить до пошкодження клітинних мембран, виснаження енергетичних і структурних ресурсів організму, нерегульований клітинний ріст та ін.
Біологія +Зарубіжна література Одним із проявів стресового стану людини є страх. У Шекспіра є такі рядки: «Найбільше слід хвороби стерегтися. Обачна будь; найліпший сторож — страх» («Гамлет, принц Датський»). Що таке страх? Чому страх є найліпшим сторожем організму?
Коротко про головне
Стресові чинники, або стресори
Діяльність Навчальне
нювання знань з використанням схеми
Розвивальне завдання. Що відбувається в організмі людини під час стресу? Інформаційно-пошукова вправа. Вплив стресорів на організм людини.
Ціннісне завдання. Чи погоджуєтеся ви з розробленими «антистресовими» рекомендаціями?
вибірковості. Рекомендації щодо запобігання дистресу.
Результат
Ерл Сазерленд (1915–1974) — американський фармаколог та біохімік, лауреат Нобелівської премії (1971)
ДОСЛІДЖЕННЯ Застосовуємо знання! Сазерленд отримав премію «за відкриття механізму дії гормонів». Суть у тому, що під впливом гормонів, які є первинними месенджерами, в клітинних мембранах клітин-мішеней утворюється речовина (циклічний АМФ), що є «вторинним посередником». І цей новий біологічний принцип є загальним механізмом дії багатьох гормонів. Цікаво, у чому значущість цього відкриття?
ЗМІСТ
Які чинники визначають нормальну діяльність та порушення
ендокринних залоз?
Основною умовою оптимальної діяльності ендокринних залоз є упорядкованість її взаємодії з
та
системами. Важливість цих зв’язків підтверджена численними дослідженнями: гіпоталамус синтезує гормони, що впливають на діяльність гіпофіза, посередниками імунного впливу на ендокринну систему є пептиди тимуса й цитокіни, прояви вищої нервової діяльності пов’язані з дією серотоніну, ендорфінів. Від стану цих взаємозв’язків та органів ендокринної системи залежить, чи буде людина здорова, чи буде страждати від гормонального збою.
Причинами ендокринних захворювань можуть бути природні й соціальні, зовнішні (екзогенні) та внутрішні (ендогенні) чинники.
Таблиця 20. ПРИЧИНИ ЕНДОКРИННИХ ЗАХВОРЮВАНЬ
Категорії Приклади
Спосіб життя
Навколишнє середовище
Шкідливі звички, неправильне харчування, надлишкова маса, дистрес, порушення ритму «сон–бадьорість», шкідливі умови праці, гіподинамія та гіпокінезія
Фізичні (механічні травми, шкідливі впливи випромінювання), хімічні (чужорідні речовини-ксенобіотики), біологічні (віруси, хвороботворні бактерії, тварини-паразити)
Спадковість Вікові зміни та процеси старіння, спадкові
людині протягом усього життя, а його нестача в орга-

нізмі призводить до затримки росту в дітей, порушення розумової активності й обміну речовин у дорослих. Найпростішою профілактикою дефіциту йоду в організмі є споживання йодованої солі, насиченої цим мікроелементом. Для чого людині йод? Які основні групи ендокринних захворювань? У Міжнародній класифікації хвороб (МКХ-9) ендокринні захворювання разом із порушеннями імунітету, харчування та обміну речовин потрапили в один розділ. Загалом ендокринні розлади можна розділити на дві групи: гіпофункція (гіпосекреція, що призводить до нестачі гормонів) та гіперфункція (гіперсекреція, що призводить до надлишку гормонів) ендокринних залоз. Ендокринні порушення гомеостазу глюкози Цукровий діабет — це група поширених ендокринних захворювань, що характеризуються стійким високим рівнем глюкози в крові. Діабет виникає через те, що підшлункова залоза не виробляє достатньо інсуліну або клітини організму перестають реагувати на вплив гормону. Основними типами діабету є цукровий діабет 1-го (юнацький діабет, що є аутоімунним захворюванням) та 2-го (діабет дорослих) типу. Станом на 2021 рік близько 537 мільйонів людей у всьому світі страждали на цукровий діабет, що становить 10,5 % дорослого населення, причому діабет 2-го типу становить близько 90 % усіх випадків.
Ендокринні порушення щитоподібної залози
Зоб — це припухлість на шиї, яка виникає внаслідок збільшення щитоподібної залози. У всьому світі понад 90 % випадків зоба спричинені дефіцитом йоду. Ендемічний зоб — захворювання, яке характеризується збільшенням щитоподібної залози, частіше без порушення її функції, і виникає в певних місцевостях. Гіпертиреоз — це стан, який виникає через надмірне вироблення гормонів щитоподібної залози. Причиною такого стану в більшості випадків є надходження надмірної кількості тироксину в кров, що призводить до отруєння організму та розвитку порушень, які називають базедовою хворобою (хвороба Грейвса, дифузний токсичний зоб). Симптомами є надмірний обмін речовин, вирячкуватість, дратівливість, дрижання кінцівок, схуднення тощо. Гіпотиреоз — це стан, який виникає через
розвивається в дорослих, то в них ніби відновлюється ріст. При цьому збільшуються тільки ті частини тіла (руки, ноги, язик, ніс, щелепи), які не втратили здатність рости. Захворювання називають акромегалією. При недостатній кількості гормону росту в дітей розвивається карликовість (нанізм). Порушення секреції гормонів кори надниркових залоз виникає бронзова хвороба (хвороба Аддісона). Це аутоімунне захворювання, за якого шкіра набуває бронзового кольору та розвивається ниркова недостатність. Крім того, людина худне, втрачає працездатність через розлади нервово-м’язової системи. Порушення секреції статевих гормонів зумовлює розлади статевого розвитку. Це вроджені стани, що впливають на репродуктивну систему і порушують розвиток хромосомної, гонадної або анатомічної статі. У цій групі — такі порушення, як овотестикулярний синдром (людина народжується з тканиною яєчників та яєчок), синдром Клайнфельтера (вроджений стан чоловіка, зумовлений однією чи декількома надлишковими Х-хромосомами), синдром Тернера (вроджений стан жінки, яка народилася лише з однією Х-хромосомою).
Для профілактики ендокринних захворювань треба вести здоровий спосіб життя, який передбачає не лише дотримання режиму праці та відпочинку, а й раціональне харчування, нормальну психологічну обстановку в сім’ї й колективі.
Біологія + Символіка Для якого ендокринного захворювання і чому створено універсальний символ синього кола?
Яке значення досліджень ендокринної регуляції?
Будову та функції ендокринних залоз, гормони та гормональні речовини, їх дію на організм, а також захворювання, пов’язані з порушенням функції залоз, вивчає ендокринологія. Важливими сучасними напрямами досліджень
імуноендокринологія та нейроендокринологія. Імуноендокринологія є новою
захворювання (гормональні
Наука про ендокринну систему
Діяльність
Навчальне завдання. Які особливості ендокринної регуляції людини? Моделювання змісту теми. ЕНДОКРИННА РЕГУЛЯЦІЯ.
Розвивальне завдання. Які умови є визначальними для ендокринної регуляції? Інфографіка. Вплив чинників середовища на ендокринну регуляцію.
Ціннісне завдання. Проєкт на одну із тем щодо оцінювання впливу досягнень природничих
знань про ендокринну регуляцію, інформаційно-пошукових умінь та ціннісних уявлень
про СПРАВЕДЛИВІСТЬ Саморозвиток Самооцінювання. Які результати моєї навчальної діяльності? Діагностувальне завдання. ЕНДОКРИННА РЕГУЛЯЦІЯ.
Біологія + Видатні жінки-науковиці + Англійська мова Знайомтеся: Керол Грейдер (1961) — американська молекулярна біологиня, лауреатка Нобелівської премії з фізіології або медицини (2009), яка є співавтором відкриття механізмів захисту хромосом. «Що інтригує таких фундаментальних вчених, як я, так це те, що щоразу, коли ми проводимо серію експериментів, з’являються три–чотири нових запитання, які виникають, коли ви думаєте, що відповіли на одне» (What intrigues basic scientists like me is that any time we do a series of experiments, there are going to be three or four new questions that come up when you think you’ve answered one), — зауважувала науковиця.
У явищах живих істот є щось таке, що неможливо пояснити
звичайними механічними, фізичними чи хімічними законами.
Еміль Дюбуа-Реймон (1818–1896) — німецький фізіолог, засновник електрофізіології
§ 11.1. НЕРВОВА РЕГУЛЯЦІЯ
Цікаво! Перші відомості про «тваринну електрику» отримані італійським фізиком Л. Гальвані у 1791 р.
А природу електричних імпульсів і те, як вони виника-
ють, описали лише у 1952 р. відомі науковці А. Ходжкін, А. Хакслі та Б. Катц. Цікаво, а в чому відмінність електричних явищ неживої та живої природи?
ЗМІСТ
Чому збудження в нейронах є біоелектричним явищем? Електричні явища в природі
ряджених тіл або електрично заряджених частинок
ру. Під час збудження збільшується
для йонів натрію. Вони швидко надходять у клітину і здійснюється «перезаряджання» клітинної мембрани: внутрішній бік заряджається позитивно, а зовнішній — негативно. Такі переміщення електричних заряджених часток характеризуються як нервовий імпульс (потенціал дії) та є біоелектричним явищем. Проведення збудження відростками нейронів та між нейронами здійснюється також електричним шляхом. Основними учасниками виникнення збудження у нейронах є клітинна мембрана, йони Na+, K+, Cl–, транспортні білки (йонні канали і йонні помпи) та
Допоміжними клітинами
є астроцити, олігодендроцити, епендимоцити та мікроглія. Астроцити мають велику кількість відростків та формують гематоенцефалічний бар’єр, який запобігає потраплянню в нервову тканину шкідливих сполук з крові. Якщо ж чужорідні речовини чи інфекційні агенти перетинають цей бар’єр, їх знешкоджують клітини мікроглії. Це мозкові імунні клітини, здатні до фагоцитозу. Вони беруть участь у прибиранні непотрібних або ушкоджених нейронів чи синапсів. Олігодендроцити утворюють навколо аксонів мієлінову оболонку, що відповідає за швидке проведення імпульсів. Епендимоцити вистеляють шлуночки головного мозку, канал спинного мозку та беруть участь у регуляції складу ліквору. Біологія + Медицина Утворення нейронів та клітин нейроглії в мозку здійснюють нейрональні стовбурові клітини. Чим ці клітини
відрізняються від інших нейронів?
Як відбувається взаємозв’язок нервової, ендокринної та імунної регуляції?
Нервова система разом із ендо-
кринною та імунною визначають тріаду нейроімуноендокринних взаємодій,
де кожна система впливає і, відповідно, перебуває під впливом двох інших. Тому всі органи цих систем мають добре розвинуту сітку кровоносних судин і нервових волокон, гарну іннервацію та кровопостачання, що
зумовлює можливість швидких взаємодій. Взаємозв’язок між органами цих систем забезпечується двома
основними шляхами. Перший шлях — через кров за участю нейрогормонів. Це біологічно активні речовини,
молекули
нейромедіаторів на постсинаптичній мембрані інших клітин. Процес сприйняття позаклітинного сигналу клітиною та подальші внутрішньоклітинні реакції на цей сигнал називаються сигнальною трансдукцією. Відкриття цього механізму роботи синапсів було відзначене Нобелівською премією 2000 року, яку отримав американський нейробіолог Ерік Кендел.
Біологія + Видатні науковці Італійський гістолог Камілло Ґольджі, лауреат Нобелівської премії 1906 року, створив метод чорної реакції (італ. la reazione nera). Це метод з використанням біхромату калію та нітрату срібла для фарбування нейронів у темно-чорний колір, залишаючи навколишні клітини прозорими. Чому цей метод став визначною подією в становленні нейрології?
Коротко про головне Збудження нейронів — нервовий
та
Діяльність Навчальне завдання. Які особливості нервової регуляції? Опорна схема «Ієрархія». НЕРВОВА РЕГУЛЯЦІЯ. Розвивальне завдання. Чи існує зв’язок між будовою та функціями нервової тканини? Дослідницька вправа. Будова нервової тканини у взаємозв’язку з функціями.
Ціннісне завдання. Нервова, ендокринна та імунна регуляція є фундаментом процесів життєдіяльності, а фундаментом людських цінностей — мудрість, справедливість і толерантність. Вправа для визначення. Що ж таке МУДРІСТЬ? Результат Очікувані результати
• усвідомлює пізнавальну
Як гарно сказано! «Як ентомолог, що переслідує яскраво забарвленого метелика, я полював у казковому саду сірої речовини за нейронами з їх елегантними формами, що нагадували таємничих метеликів душі, тріпотіння крилець яких — цілком можливо, колись — хто знає? — може прояснити таємницю душевного світу», — писав Рамон-і-Кахаль. А як організований цей казковий сад нервової системи?
ЗМІСТ
Як організована нервова система людини?
Нервова система складається з нейронів та клітинних елементів нейроглії. Крім того, в організмі дорослої людини міститься деяка кількість нейрональних стовбурових
,
утворення нових клітин на заміну пошкодженим. Близько 100 мільярдів зірчастих, видовжених, пірамідальних, овальних, кубічних клітин об’єднані між собою за допомогою нервових закінчень. Ці розгалуження відростків сприймають інформацію із середовища, з’єднують нейрони і передають імпульси на робочі органи. Органи нервової системи
чення тіл нейронів та їх коротких відростків у межах центральної нервової системи (ЦНС) утворює сіру речовину
речовина формує провідні шляхи для імпульсів. За межами ЦНС нервова тканина утворює нервові вузли, які забезпечують обробку й перерозподіл імпульсів. Для швидкого проведення імпульсів та поєднання нервових центрів з органами і тканинами нервова система має нерви. Їх поділяють на рухові (містять рухові волокна), чутливі (мають чутливі волокна) та змішані (побудовані з чутливих і рухових волокон).
довгастому мозку, у регуляції
речовин беруть участь центри гіпоталамусу. Проявом принципу системності є регуляційна взаємодія нервової системи з ендокринною та імунною для злагодженого та ефективного здійснення життєвих функцій організму. Основними функціями нервової системи в організмі людини є інтегративна, гомеостатична, адаптаційна та захисна.
Таблиця 21. ФУНКЦІЇ НЕРВОВОЇ СИСТЕМИ В ОРГАНІЗМІ
Функція Суть
Інтеграційна Аналіз
нервової системи?
позицій структурності нервову систему людини поділяють на центральну і периферійну. Центральна нервова система (ЦНС) — основна частина нервової системи, до складу якої входять
головний та спинний мозок. Значення ЦНС полягає у здійсненні складних рефлекторних реакцій, які забезпечують діяльність органів і систем організму. До того ж ЦНС забезпечує зв’язок організму з навколишнім середовищем. Відділи ЦНС побудовані з білої та сірої речовини. Периферійна нервова система (ПНС) — частина нервової системи, що розташована поза головним і спинним мозком. Основу цього відділу складають нерви, нервові вузли, нервові сплетення. Основною функцією ПНС є передача нервових імпульсів по всьому організму. Нерви ПНС поділяють на спинномозкові та черепномозкові. Спинномозкові нерви

ність внутрішніх органів, залоз секреції, кровоносних судин. Біологія + Мистецтво «Музика, створена великими композиторами, має цілющу силу. Як ліки від головного болю пропонуються «Весняна пісня» Мендельсона, «Гуморески» Дворжака. Романтична музика Шуберта, Шумана, Чайковського, Ліста створює відчуття вільного простору. Рок-музика в стилі Елвіса Преслі, «Роллінг стоунз» у невеликій кількості може зняти нервове і м’язове напруження. Але найчудодійнішими для нервової системи є мелодії у Моцарта…». Цікаво, яким чином
Діяльність
Навчальне завдання. Яке значення нервової системи
організму? Пояснення з використанням схеми «Функціонування». НЕРВОВА СИСТЕМА.
Розвивальне завдання. У чому суть безумовно-рефлекторного принципу діяльності нервової системи? Практична вправа. Дослідження безумовних рефлексів.
Ціннісне завдання. «У природі все мудро продумане й улаштоване, усяк повинен займатися своїм ділом, і в цій мудрості — вища справедливість життя» (Л. да Вінчі). У чому «мудрість організації» нервової системи? Вправа для сприймання. Відділи нервової системи.
Результат Очікувані
Застосовуємо! Три великі відкриття можна розглядати як етапи розвитку нейрофізіології: відкриття біоелектричної природи нервового імпульсу (Е. Дюбуа-Реймон), відкриття функцій нейронів (Ч. Шерінгтон, Е. Едріан, Нобелівська премія, 1932 рік ) та відкриття функцій нервових волокон (Д. Ерлангер, Г. Гассер, Нобелівська премія, 1944 рік). А що вивчає нейрофізіологія?
ЗМІСТ
Які особливості
(ЦНС)?
ЦЕНТРАЛЬНА НЕРВОВА СИСТЕМА (лат. systema nervosum centrale) координує діяльність і взаємозв’язок усіх інших
їхня функція — захист ЦНС від хімічно
агентів, що потрапили у кров. Усередині головний та спинний мозок мають порожнини, у яких циркулює рідина
впливів, транспортування поживних речовин
Передавання інформації у ЦНС здійснюють нервові волокна. Це довгі відростки нервових клітин, оточені мієліновою мембраною з високим вмістом ліпідів. Розрізняють мієлінові та безмієлінові нервові волокна. Безмієлінові волокна тонкі (діаметр 1–4 мкм), з відносно низькою швидкістю проведення нервових імпульсів (0,5–2 м/с). Характерною ознакою є те, що аксони прогинають мієлінову мембрану і занурюються в неї. Мієлінові нервові волокна товсті (діаметр
1 до 20 мкм), швидкість проведення імпульсів
може досягати 120 м/с. Мієлінова мембрана обгортає аксон
нейронів, розташованих на різних рівнях ЦНС (наприклад, центр дихання, сечоутворення), а нервові ядра — це скупчення нейронів, занурених у білу речовину (наприклад, червоне ядро середнього мозку для регуляції рухів).
Біологія + Нейронаука Яке практичне значення нейроанатомії?
Які особливості будови спинного мозку?
Спинний мозок розташований у каналі хребта, що утворений дугами хребців. Має вигляд тяжа довжиною 41–45 см, діаметром близько 1 см і масою близько 40 г. Спинний мозок вкривають три оболонки: тверда, павутинна і м’яка.
Усередині стовбура спинного мозку є сіра речовина, що має вигляд метелика та утворює парні виступи — роги. Зовнішня біла речовина утворена мієліновими волокнами, що формують канатики спинного мозку. Спинний мозок складається з 31 сегмента, об’єднаних у відділи: шийний, грудний, поперековий, крижовий, куприковий. Від кожного сегмента відходять нервові корінці. Чутливі (задні)
корінці проводять інформацію від шкіри, м’язів та внутрішніх органів до спинного мозку, тому побудовані з чутливих волокон. Ці корінці відрізняється невеличким
Іл. 74. Будова спинного мозку: 1 — біла речовина; 2 — сіра речовина; 3 — чутливий корінець; 4 — вузол чутливого корінця; 5 — спинномозковий нерв; 6 — руховий корінець; 7 — підпавутинний простір; 8 — тверда оболонка; 9 — павутинна оболонка; 10 — м’яка оболонка; 11 — центральний канал; 12 — передня борозна
потовщенням — вузлом чутливого корінця, у якому скупчуються тіла чутливих нейронів. А рухові (передні) корінці забезпечують надходження відповіді від центрів до робочих органів. У міжхребцевому отворі рухові й чутливі корінці зливаються, утворюючи змішані спинномозкові нерви. Відповідно до кількості сегментів спинний
і м’язів-розгиначів кінцівок), тонічні (шийний). У спинному мозку розташовані центри вегетативних рефлексів кровоносних судин, сечовидільної системи, прямої кишки, статевих функцій. Усі ці реакції здійснюються
сірої речовини мозку. Іншою важливою функцією спинного мозку є провідникова, пов’язана з діяльністю білої речовини. Висхідні шляхи проводять нервові імпульси майже всіх видів чутливості через спинний мозок до головного мозку, а низхідні шляхи — від головного мозку до скелетних м’язів, забезпечуючи довільні рухи. При травмах спинного
тракти можуть руйнуватися, і тоді людина втрачає чутливість і здатність до рухів.
Діяльність
Навчальне завдання. Чим центральна нервова система відрізняється від периферійної? Пояснення з використанням схеми «Дерево». ЦЕНТРАЛЬНА НЕРВОВА СИСТЕМА.
Розвивальне завдання. У чому взаємозв’язок будови та функцій спинного мозку? ЛАБОРАТОРНА РОБОТА 11. Дослідження будови спинного мозку.
Ціннісне завдання. «Мудрість
плодів: дар добре думати, дар
(Демокріт).
ціонування ЦНС.
Результат
Самонавчання.
Самооцінювання.
ни у 1963 році стали Джон Екклс, Алан Ходжкін та Ендрю Хакслі «за відкриття, що стосуються йонних механізмів збудження та гальмування у периферійних і центральних ділянках
нервових клітин». Цікаво, як дослідження мозку допоможе людині глибше
зрозуміти себе?
ЗМІСТ
Яке значення
Головний мозок (лат. encephalon) як жодна інша нервова структура відображає біосоціальну сутність людини. Особливості його будови та функцій визначають психічні процеси, формування особистості, прояви вродженої та набутої поведінки людини. Дослідженням будови мозку займається нейроанатомія, а функцій — нейрофізіологія. Cerebrum hominis містить понад 86 мільярдів нейронів і приблизно стільки ж гліальних клітин. І кожний нейрон може утворювати до 10 000 синапсів та отримувати й перетворювати інформацію від 1000 інших нейронів одночасно. «Перед завданням повного з’ясування роботи мозку людини навіть уява виявляє нерішучість», — так охарактеризував
людини. Яке ж значення має головний мозок? Головний мозок містить нервові центри безумовних рефлексів, що здійснюють мимовільні вроджені
дихання, серцебиття, травлення. А в корі півкуль функціонують
над «розумними» технічними системами і відрізняється від тварин з елементарною розумовою діяльністю. Людина може творити, сміятися, плакати, радіти, співчувати тощо саме завдяки нашому головному мозку. Цей відділ має ділянки, що інтегрують інформацію та разом забезпечують пізнавальні (сприйняття, уявлення, мислення, мовлення, пам’ять) та емоційно-мотиваційні (емоції, мотивації) процеси (інтеграційна функція).
Біологія + Інженерія Нейрокомп’ютерний інтерфейс — система, створена для обміну інформацією між мозком та певним електронним пристроєм. Це вже реальність чи близька перспектива?
Які особливості будови та функцій головного мозку?
Головний мозок вкритий трьома мозковими оболонками — твердою, м’якою і павутинною, що здійснюють захист та обмін речовин. У
головному мозку, як і в спинному, є біла і сіра речовини. Але сіра речовина головного мозку розміщена на периферії, а біла — у глибині. Розрізняють п’ять основних відділів головному мозку людини: до-
вгастий мозок, задній мозок (міст і мозочок), середній мозок, проміжний мозок та великий мозок. Середній мозок, міст і довгастий мозок
утворюють стовбур головного мозку. Через нього проходить сітчастий утвір (ретикулярна формація), що розподіляє інформацію та підтримує
тонус відділів ЦНС. Від стовбура
відходять 12 пар черепно-мозкових нервів, найбільшим із яких є блукаючий нерв.
Великий мозок поділений на праву та ліву півкулі, з’єднані мозолистим тілом. Вкриті півкулі
ші борозни: центральна (1), бічна (2) і потилично-тім’яна (7). Вони виокремлюють у кожній півкулі
основних частки: лобову (4), тім’яну (5), потиличну (6) і скроневу (3). Великий мозок визначає поведінку людини, її мислення, мовлення, свідомість. Проміжний мозок розташований вище від середнього мозку і має дві структури: таламус та гіпоталамус. Таламус вважають вищим центром больової чутливості, а гіпоталамус — вищим центром регуляції
вегетативних функцій: терморегуляції, регуляції обміну речовин, сталості внутрішнього середовища організму тощо. Середній мозок розташований між мостом і проміжним мозком та має дві частини: чотиригорбикове тіло й ніжки мозку. У середньому мозку міститься низка важливих нервових центрів, зокрема первинні центри зору, слуху, м’язового тонусу тощо.
Задній мозок утворений мостом і мозочком. Назва «міст» пов’язана із тим, що ця структура складається переважно з провідних шляхів. Мозочок відіграє важливу роль у координації рухів і підтримуванні тонусу м’язів. Довгастий мозок є продовженням спинного мозку. Це еволюційно найдавніша частина головного мозку, у якій зосереджені життєво важливі нервові центри дихання, травлення (слиновиділення, соковиділення, жування, ковтання), а також нервові центри захисних рефлексів (кліпання, кашлю, чхання).
Біологія + Психологія Американський науковець
Лоуренс Катц розробив особливу гімнастику для звивин і мозку — нейробіку, яка тренує можливості кожної
півкулі, поліпшує пам’ять, стимулює інтелект. Цікаво, які вправи треба виконувати для цього?
Як організована кора мозку?
КОРА ПІВКУЛЬ ВЕЛИКОГО МОЗ-
КУ — шар сірої речовини на поверхні півкуль великого мозку. Товщина кори
3–5 мм, а її загальна площа 2000–2500 см2. Кора півкуль, незважаючи на незначну товщину, має складну будову. Нейрони кори поділяються на два
основних типи: пірамідальні (близько 80 % всіх клітин кори) та зірчасті (близько 20 %). Великі пірамідальні клітини (клітини Беца) відкрив український вчений В. О. Бец (1834–1894). Нейрони утворюють нейрональні колонки, що є основною структурно-функціональною
201 Іл. 77. Нейрони кори: пірамідальні (зліва) і зірчасті (справа)
головного мозку, та й самі сім’ядолі насінин мають поверхню з багатьма
звивинами й борознами, як у великих півкуль. Цікаво, як називається плід цієї рослини згідно з ботанічною класифікацією? А ягода Б горіх В кістянка Г яблуко
Коротко про головне ГОЛОВНИЙ
ЛОВНИЙ МОЗОК.
Розвивальне завдання. Чому
мозку.
Самонавчання. Пізнавальне завдання. Правило-орієнтир «Код швидкої відповіді» (англ. quick response code).
Самооцінювання. Продуктивно-конструктивне завдання. Тест-конструювання. Головний мозок.
з хімічною передачею нервових імпульсів». Яке значення хімічних речовин у передаванні інформації периферійною нервовою системою?
ЗМІСТ
Яке значення периферійної нервової системи?
ПЕРИФЕРІЙНА НЕРВОВА
СИСТЕМА (ПНС) — частина нервової системи, що здійснює зв’язок між відділами ЦНС та органами тіла. Основними учас-
никами проведення нервових імпульсів за межами ЦНС є нерви та нервові вузли. Нерв (лат. nervus) — це нервова структура з нервових пучків, сполучно-тканинних оболонок, кровоносних судин, що здійснює передачу нервових імпульсів від і до ЦНС. За особливостями будови нерви поділяють на: рухові (містять рухові волокна), чутливі (мають чутливі волокна) та змішані (з чутливих і рухових волокон). За місцем відходження розрізняють черепномозкові та спинномозкові нерви. Черепномозкові нерви відходять від головного мозку та іннервують органи голови і шиї людини. У людини 12 пар таких нервів, їх позначають римськими цифрами у порядку розташування, кожний із них має власну назву. Наприклад:
лежно від неї.
Цікаво Найдовшим нервом вегетативної нервової системи є
блукаючий нерв (лат. nervus vagus). Цікаво, чому його так назвали?
Яке значення вегетативної нервової системи?
Периферійна нервова система поділяється на вегетативну й соматичну. Вегетативна нервова система (ВегНС) — це частина ПНС, що забезпечує іннервацію внутрішніх органів та ендокринних залоз. Система має ряд особливостей, що відрізняють її від соматичної: – нервові центри розміщені в стовбурі
Іл. 79. Вегетативна нервова система: А — симпатична; Б — парасимпатична
головного мозку та спинному мозку; – нервові волокна перериваються вузлами, тому рухові шляхи складаються з 2 нейронів (перед- і післявузлового); – нервові волокна тонкі безмієлінові з невисокою швидкістю проведення імпульсів — 3–10 м/с; – вищим відділом регуляції діяльності є проміжний мозок та підкірка; – поділяється на два відділи: симпатичний і парасимпатичний. Внутрішні органи одночасно іннервуються симпатичними і парасимпатичними волокнами. Це явище називається подвійною іннервацією. Симпатичний відділ виконує енергетичну функцію, пожвавлюючи діяльність органів в екстремальних умовах. Парасимпатичний відділ здійснює трофічну функцію, забезпечуючи відновлення можливостей органів під час відпочинку. Вплив вегетативних нервів на робочі органи визначається дією різних речовин, що передають імпульси через хімічні синапси. Ацетилхолін є основним нейромедіатором парасимпатичної нервової системи, адреналін — симпатичної. Хімічні синапси не обмежуються передачею лише збуджувальних сигналів, вони проводять і гальмівні впливи. Біологія + Медицина Кураре — найсильніша із рослинних отрут, яку отримують із кори рослини Strychnos toxifera (Стріхнос отрутоносний) і застосовують

центри довільних рухів розташовані в рухових полях кори великого мозку. Команда, що виникає в цій ділянці, передається до рухових нейронів у складі спинномозкових нервів. У людини скорочення скелетних м’язів є нейрогенними, оскільки потребують активації за участю нейрогормонів, серед яких визначальними є впливи ацетилхоліну
іннервацію опорно-рухового апарату, шкіри й органів чуття.
Діяльність
Навчальне завдання. Як організована периферійна нервова система? Оцінювання знань з використанням таблиці «Порівняння». ПЕРИФЕРІЙНА НЕРВОВА СИСТЕМА.
Розвивальне завдання. Як передається інформація в нервовій системі? Дослідницька вправа з ілюстрацією. Рефлекторні дуги соматичного і вегетативного рефлексу.
Ціннісне завдання. Вегетативна та соматична нервова система здійснюють іннервацію внутрішніх і зовнішніх органів. Чи мають
прояви
One of the ultimate challenges of biology is to understand how the brain becomes consciously aware of perception, experience and emotion.
Ерік Кендел (1929) — американсько-австрійський нейронауковець
Цікаво! Лауреатами Нобелівської премії
2000 року стали Е. Кендел, П. Грінгард, А. Карлссон «за відкриття, що стосуються передачі сигналу в нервовій системі».
Цікаво, яке практичне значення мають
знання нервової діяльності?
ЗМІСТ
Які чинники порушують роботу нервової системи? Причинами порушень нервової діяльності можуть бути зовнішні та
внутрішні чинники, серед яких: – біологічні: вірусні інфекції (віруси кору, поліомієліту); бактерії (менінгококи, стрептококи); одноклітинні еукаріотичні організми (токсоплазми); паразитичні черви та продукти їхньої життєдіяльності (аскарида людська, ехінокок); спадкові зміни — мутації (зміни генів, самих хромосом або їх кількості); формування аутоімунних процесів; порушення обміну речовин (особливо негативно позначається нестача кисню, глюкози, вітамінів групи В); судинні порушення, що розвиваються внаслідок атеросклерозу та гіпертензії; – хімічні: отруєння (отрути, спирти, солі важких металів, сірководень, пестициди, барбітурати); – фізичні: мікропульсації магнітного поля Землі, вплив йонізуючого опромінення (виникають дегенеративні зміни в клітинах нейроглії, втрачається мієлін у нервових волокнах, розвиваються пухлини); механічні травми, при яких вражаються нервові центри чи нервові шляхи.
Для запобігання появі порушень нервової системи необхідно дотримуватися режиму праці та відпочинку, займатися фізкультурою, підвищувати загальну опірність організму, берегти себе від негативних впливів середовища, запобігати формуванню шкідливих звичок та ін.
мозку (мозковий інсульт, мігрень), дегенеративні хвороби мозку, пов’язані з втратою нейронів (розсіяний склероз, хвороба Паркінсона, хвороба Альцгеймера), захворювання периферійної нервової системи (невралгії, неврити), інфекційні захворювання нервової системи (енцефаліт, менінгіт, поліомієліт), захворювання вегетативної нервової системи (вегетосудинна дистонія), спадкові захворювання нервової системи (хорея Генінгтона).
У структурі судинних захворювань мозку провідне місце посідають мозкові інсульти, зумовлені порушенням кровопостачання головного мозку або крововиливом у тканини мозку. Актуальною проблемою сучасної медицини є розсіяний склероз — аутоімунне захворювання з ураженням білої речовини головного та спинного мозку, імовірною причиною якого вважають руйнування імунною системою мієлінової оболонки. Сучасна медицина поки що не може вилікувати хворобу Паркінсона, спричинену прогресуванням руйнування нейронів середнього мозку, які виробляють дофамін. На цю хворобу страждають приблизно 1–2 % людей віком понад 65 років. Захворювання периферійної нервової системи складають близько 50 % усіх захворювань. Залежно від структур, що вражаються, виділяють: радикуліт (ураження спинномозкових корінців), невралгії (ураження периферійних нервів, що супроводжуються болями, але їхні функції зберігаються, наприклад, міжреберна невралгія), невропатії (ураження периферійних нервів, що супроводжуються болями і порушенням їхніх функцій, наприклад, невропатія сідничного нерва).
Які основні напрями сучасних нейронаукових досліджень?
Комплекс наукових дисциплін, які займаються вивченням нервової системи на різних рівнях організації, об’єднують терміном нейронаука. Сучасна нейронаука набула міждисциплінарного статусу на перетині біології, медицини, психології, хімії, біоінженерії, інформатики, кібернетики, математики, етології, мовознавства. Базовими дисциплінами нейронауки є нейроанатомія та нейрофізіологія, що займаються вивченням будови та функцій нервової системи. Тільки людський мозок містить близько ста мільярдів нейронів і сто трильйонів синапсів, що утворюють надскладні нервові мережі. Діяльність нейронів та їх хімічні взаємодії є предметом досліджень молекулярної та клітинної нейронауки. Розумові здібності людини (мовлення, сприйняття, пам’ять, увага, мотивації,
(наприклад, інтерфейси «мозок–комп’ютер», нейропротези).
Біологія + Англійська мова У мозку морського зайця (Aplysia californica) всього лише 20 000 нейронів, але, незважаючи на це, молюск здатний до навчання. Кендел міркував, що він може вивчати пам’ять, спостерігаючи за тим, що відбувається з рецепторним та руховим нейронами в рефлекторній дузі безумовного захисного рефлексу з назвою Aplysia gill and siphon withdrawal reflex (GSWR). Що це за рефлекс?
Коротко про головне
Діяльність
Навчальне завдання. Які особливості
Моделювання змісту теми. НЕРВОВА
Розвивальне завдання. Які чинники порушують нервову регуляцію? Інфографіка. Вплив чинників середовища на нервову регуляцію. Ціннісне завдання. Проєкт на одну із тем щодо визнання існування різних думок і поглядів на проблеми, вирішення яких можливе за допомогою досліджень нервової системи.
Результат Очікувані результати навчання (Учень / учениця...)
• узагальнює знання та формулює висновок: про НЕРВОВУ РЕГУЛЯЦІЮ
• розвиває творчі уміння знаходити способи вирішення складних завдань та створює: інфографіку про вплив чинників середовища на нервову
про організм людини,
Гіпотезуємо! Інформація (від лат. informatio — роз’яснення) — відомості про навколишній світ. Організми отримують її із зовнішнього середовища, відповідно реагують і пристосовуються до мінливих умов життя. Жива природа в процесі еволюції створила найрізноманітніші приймачі інформації. А як інформація потрапляє в організм людини?
ЗМІСТ
Які особливості сприйняття інформації?
СПРИЙНЯТТЯ ІНФОРМАЦІЇ (перцепція) з внутрішнього та навколишнього середовища відбувається завдяки функціонуванню сенсорних систем, або аналізаторів.
Будь-який чинник середовища, що
називається подразником, а дія подразника на організм — подразненням. Ці чинники передають свої впливи за участю різних форм енергії, тому за природою впливів розрізняють такі групи подразників: фізичні (температура, тиск, світло, звук, дотик, електричний струм, магнітне поле), хімічні (кислоти, луги, речовини їжі, отрути, продукти обміну речовин) та подразники змішаної природи (зміна осмотичного тиску, зміна рН середовища).
Молекулярний рівень. Сприйняття інформації здійснюють молекулярні рецептори. Це білкові молекули, які сприймають впливи подразників і перетворюють їх у сигнали, що змінюють активність рецепторних клітин. Такі білки знаходяться на
клітинної мембрани, клітинної органели або в цитоплазмі клітини. Клітинний рівень. Клітинними рецепторами, що сприймають інформацію, можуть бути спеціалізовані епітеліоцити та сенсорні нейрони. За розташуванням рецептори поділяються на зовнішні, або екстерорецептори (рецептори шкіри, ока), та внутрішні, або ентерорецептори (рецептори м’язів, кровоносних судин). За відчуттями, що виникають у корі півкуль, ці чутливі утвори поділяють на зорові, слухові, нюхові, смакові, дотикові, теплові, холодові. Тканинний рівень. Зв’язок між сенсорними нейронами, вставни-
інформації, — це органи чуття. У їх будові розрізняють: допоміжні структури (допомагають рецепторам сприймати подразнення) та рецептори, які перетворюють сигнали навколишнього в нервові імпульси.
Системний рівень. Визначальну роль у сприйнятті інформації відіграє нервова система. На здійсненні її інформаційної функції спеціалізуються сенсорні нейрони, чутливі нерви та сенсорні поля кори півкуль великого мозку, які утворюють сенсорні системи.
Біологія + Латина Увідповіднюю латинські назви
людини (А–Д) з відповідними ілюстраціями (1–5):
відбувається
на подразнення. Під час дії збуджувального
нів натрію, калію, хлору і виникає нервовий
нейрони. Проведення збудження по нервових волокнах характеризується рядом закономірностей, серед яких: залежність швидкості проведення імпульсу від діаметра нервового волокна, практична невтомлюваність нервових волокон, двостороннє проведення збудження та ін.
Де відбувається кіркове формування відчуттів?
Ділянки кори півкуль великого мозку, де відбувається аналіз і синтез інформації, називаються сенсорними (чутливими) полями. Саме
Навчальне завдання.
сприйнятті інформації? Опорна схема «Ієрархія». СПРИЙНЯТТЯ
ІНФОРМАЦІЇ.
Розвивальне завдання. Яка причина різноманітності рецепторів людини? Проблемно-пізнавальна вправа. Класифікація рецепторів на групи.
Ціннісне завдання. «Птахи мають крила, риби — плавники, а люди для життя у природі мають пізнання,
Саморозвиток
Самоорганізація. Креативне завдання.
тему для створення та презентації (захисту)
уроці (див. додаток до підручника).
Самонавчання. Особистісне завдання. Тест. Який у
тип сприйняття інформації?
Самооцінювання. Прогнозувальне завдання.
тварин.
Усвідомлюємо! Нобелівську премію з фізіології та медицини 2021 року отримали Д. Джуліус та А. Патапутян «за відкриття рецепторів температури та дотику». Відзнака продовжує серію премій за вивчення чутливості людини: фізіологія вестибулярного апарату (Р. Барані, 1914), механізми сприйняття подразнень внутрішнім вухом (Г. Бекеші, 1961), зорові процеси ока (Р. Граніт, К. Хартлайн, Д. Волт, 1967), організація системи нюху (Р. Ексел, Л. Бак, 2004). Чому така пильна увага до наукових досліджень систем, що сприймають інформацію?
ЗМІСТ
Яке значення сенсорних систем? СЕНСОРНІ СИСТЕМИ (від лат. sensus — відчуття), або аналізатори, — сукупність структур, які отримують, передають та
аналізують інформацію із зовнішнього та внутрішнього середовищ. У людини розрізняють різні сенсорні системи, але усі вони складаються з трьох відділів.
Рецепторний відділ представ-
лений нервовими закінченнями сенсорних (чутливих) нейронів, які мають рецепторні білки —
молекули, здатні реагувати на
хімічні чи фізичні подразнення.
Такі білки розташовані на по-
верхні клітинної мембрани або в
цитоплазмі клітини. Рецепторні
білки передають сигнали в клітину, що призводить до виникнення імпульсів різної частоти, тривалості тощо.
що спеціалізуються на розпізнаванні різних предметів чи явищ навколишнього світу. Сенсорні зони мають певне розташування: рухове поле і поле внутрішніх органів — у лобовій частці півкуль, поле шкірно-м’язової чутливості — у тім’яній, зорове поле — у потиличній, слухове, смакове й нюхове поле — у скроневій частці.
Завдяки діяльності сенсорних систем у людини формуються відчуття, сприйняття, уявлення, мислення, свідомість, набувається досвід, розвивається розум. Сенсорна інформація має значення для життєдіяльності, поведінки та є важливим чинником пристосування і розвитку. Якщо обмежити надходження інформації, то спостерігається порушення фізичного та психічного розвитку, інтелекту взагалі.
Біологія + Медицина У космонавтів, спелеологів, підводників унаслідок зменшення кількості інформації, що надходить через органи чуттів, може виникати сенсорний голод (або сенсорна депривація, англ. sensory deprivation), що різко знижує функціональну активність великого мозку. Які ознаки цього порушення?
Які властивості сенсорних систем людини?
Загальною властивістю сенсорних систем є їх
здатність пристосовувати рівень своєї чутливості під впливом дії подразника. Пригадайте, як очі поступово звикають до темряви. Біологічна роль адаптації полягає у зменшенні чи усуненні неважливої інформації. Крім цієї властивості, можна виокремити й інші: – сенсорні системи спеціалізуються на сприйнятті певного виду подразнень і формуванні специфічних відчуттів;
сенсорні системи (крім больової) під дією тривалих вправ здатні підвищувати свої можливості, тобто вправляння. Так тренуються відчуття слуху в музикантів, відчуття кольорів у художників; – для сенсорних систем характерна взаємодія, яка реалізується через взаємодію відчуттів на рівні кори й підкірки. Так, при яскравому світлі краще відчувається смак їжі та ін.; – сенсорні системи здатні до компенсації функцій, тобто відшкодування функції однієї сенсорної
дії подразників. Цікаво У тварин органи чуття розвинені набагато краще, ніж у людей. У той час як в одних представників фауни добре розвинений слух, інші можуть похвалитися чудовим зором і бездоганним нюхом. А чи всі тварини мають сенсорні системи?
Коротко про головне
СЕНСОРНІ СИСТЕМИ забезпечують отримання інформації про впливи різних подразників, що є основою
Найзагальнішими властивостями сенсорних
є адаптація, спеціалізація, вправляння, взаємодія та компенсація функцій.
Основними сенсорними системами людини є зорова, слухова, смакова, нюхова, гравітаційна.
Діяльність
Навчальне завдання. Як відбувається сприйняття інформації? Опис із використанням схеми «Функціонування». СЕНСОРНІ СИСТЕМИ.
Розвивальне завдання. Яке значення сенсорних систем для пізнання? Проблемно-пізнавальна вправа. Властивості сенсорних систем.
Ціннісне завдання. «Наше пізнання починається зі сприйняття, переходить у розуміння і завершується причиною», — говорив І. Кант. Чим відрізняються сенсорні системи в різних людей? Вправа для сприймання. Індивідуальні особливості аналізаторів. Результат Очікувані результати навчання
Застосовуємо! Людське
отримує світлову інформацію, а потім передає її в головний мозок для формування зорових відчуттів. А яке світло сприймає око людини?
ЗМІСТ
Яке значення має зорова сенсорна
система для людини?
Людське око здатне сприймати
видиме світло зі спектру електромагнітного випромінювання в діапазоні хвиль від 380
За допомогою зорової сенсорної системи
отримує понад 90 % інформації
обсяг, який сприймається слухом. Зорова сенсорна система
людини досконаліша, ніж у багатьох тварин, завдяки розвиненій корі півкуль. Зорові осередки мають різноманітні зв’язки з іншими сенсорними, асоціативними та руховими полями. За участю зорової сенсорної системи визначаються відстань, розташування, об’ємність предметів, формуються зорові відчуття, що відображають колір, форму, розміри об’єктів. Ці прояви викликають у людини яскраві та глибокі переживання, коли вона милується красою природи чи витвором мистецтва. За допомогою зору формується мовлення людини та забезпечується спілкування. Таблиця 22. ВІДДІЛИ ЗОРОВОЇ СЕНСОРНОЇ
83. Будова
ямка;
Крім того, око організовує та здійснює проведення світлових променів до внутрішньої оболонки ока — сітківки, де розташовані три типи зорових чутливих клітин: палички (близько 100 млн, містять зоровий пігмент родопсин і відповідають за чорно-білий сутінковий зір), колбочки (близько 6–8 млн, мають йодопсини і визначають колірний зір) та світлочутливі гангліозні клітини (мають меланопсин і передають інформацію для формування циркадних ритмів, пов’язаних зі зміною дня і ночі). Важливе значення для ока мають його зовнішні та внутрішні м’язи, що здійснюють рухи очного яблука, звуження зіниці, зміну кривизни кришталика. Око забезпечене допоміжним апаратом. Захисну функцію виконують брови і повіки з віями, а також слізний апарат. Він складається зі слізної залози, розташованої в зовнішньому кутку ока, слізного мішка і носослізного каналу. Слізна рідина зволожує поверхню очного яблука, змиває сторонні частинки і знешкоджує бактерії, що потрапили в око, оскільки містить бактерицидну речовину — лізоцим. Внутрішня частина повік вкриті сполучнотканинною оболонкою — кон’юнктивою, яка містить додаткові слізні залози. Завдяки окоруховим м’язам (посмуговані прямі й косі) очне яблуко постійно рухається. Таблиця 23. ОКО
Очне яблуко Допоміжний апарат Оболонки
У людини бінокулярний (стереоскопічний) кольоровий зір, який забезпечує сприймання світла двома очима одночасно для сприйняття об’ємності простору та розрізнення електромагнітних хвиль видимого спектра, що визначають кольори. Око людини сприймає світлові промені, які відбиваються від предметів середовища, завдяки процесам оптичного світлопроведення, рецепторного світлосприймання, нервового проведення збудження, кіркового формування відчуттів. Оптичне світлопроведення —
процеси ока, що забезпечують спрямування відбитих променів на сітківку. До складу цієї оптичної системи входять рогівка →
камера ока → зіниця → кришталик → склисте тіло. Рогівка, волога камера ока та склисте тіло здійснюють часткове заломлення променів. Зіниця завдяки м’язам рефлекторно змінює свій діаметр і регулює надходження кількості світла на сітківку, чим запобігає її пошкодженню. Фокусування променів на сітківку здійснюється зміною кривизни кришталика. Скорочення війкового м’яза збільшує кривизну кришталика і його заломлювальну силу, розслаблення — навпаки. Завдяки цьому око пристосоване до чіткого бачення предметів, розташованих на різних відстанях. Ця здатність ока називається акомодацією.
Рецепторне світлосприймання — процеси перетворення клітинами сітківки енергії світлових променів у нервові імпульси. Завдяки цьому в клітинах виникає збудження, яке породжує дійсне, зменшене та обернене зображення предмета на сітківці. Світлосприймальними клітинами сітківки є палички й колбочки. Нервове
спектра сприймаються за рахунок збудження колбочок у різних співвідношеннях. Білий колір виникає при одночасному збудженні колбочок трьох типів. Такий механізм дозволяє людському оку розрізняти до 10 мільйонів кольорових відтінків. Біологія + Фразеологія Стверджують, що очі — дзеркало душі. Досить глянути в очі іншій людині, щоб зрозуміти, цікава вона чи ні, приємна чи не варта доброго слова. А чи впливає на внутрішній світ людини якість сприйняття світлової інформації?
Сприйняття світлової інформації забезпечують
лопроведення, рецепторне світлосприймання, нервове проведення збудження, кіркове формування відчуттів
Діяльність Навчальне завдання. Як сприймається світлова інформація? Пояснення з використанням з використанням схеми «Функціонування». ЗОРОВА СЕНСОРНА СИСТЕМА.
Розвивальне завдання. У чому взаємозв’язок світлової рецепції та будови ока? ПРАКТИЧНА
яблука. Ціннісне завдання. Завдяки чому людина бачить предмети на різній відстані? Домашній практикум. Визначення акомодації ока. Результат
Qui habet aures audiendi, audiat.
Аналізуємо! Чому протитуманний гудок, який чути на багато миль у морі, практично нечутний у каюті корабля? Чому промивання вуха у пацієнта часто викликає запаморочення і втрату відчуття рівноваги? Ці запитання стали початком досліджень, що привели до Нобелівських премій: «за роботу з фізіології вестибулярного апарату» (Роберт Барані, 1914) та «за відкриття механізму збудження у завитці» (Георг фон Бекеші, 1961). Відповіді на свої запитання науковці відшукали після вивчення будови та процесів внутрішнього вуха. То вухо людини — це орган слуху чи рівноваги?
ЗМІСТ
зовнішній слуховий
перетинку.
їх у зовнішній слуховий прохід, що має довжину до 2,5 см, вистилається шкірою з волосками і залозами, які виділяють вушну сірку для захисту від пилу й води. Поступове звуження проходу дає змогу концентрувати хвилі та підсилювати звук. Барабанна перетинка — це тонка сполучнотканинна мембрана (товщина 0,1 мм), ззовні вкрита шкірою, а зсередини — слизовою оболонкою. Така будова забезпечує сприймання і передавання звукових коливань на слухові кісточки. Середнє вухо складається з барабанної порожнини, заповненої повітрям (близько 1 см3), слухових

закручений у 2,5 оберту канал, що містить усередині завитковий лабіринт. На перетинці цього лабіринту розташований звукосприймальний апарат — спіральний (кортіїв) орган. Він містить звукові рецептори (волоскові клітини), які перетворюють коливання рідини, зумовлені дією звукових хвиль, на нервові імпульси. Через завитковий нерв імпульси надходять до слухових полів кори півкуль. Інша частина внутрішнього вуха — вестибулярний апарат. Біологія + Фізика Звук — коливальний рух частинок пружного середовища, що
поширюється у вигляді хвиль у газі, рідині чи твердому тілі. Більшість явищ у природі супроводжуються характерними звуками, що сприймаються та розпізнаються вухом людини і використовуються для орієнтування та спілкування. А які звуки людське вухо не сприймає?
Як відбувається сприйняття звукової інформації людиною?
Людина сприймає звукові коливання в діапазоні від 16 до 20 000 герц (Гц), і для неї характерний просторовий
ня звуків парними органами слуху).
ніж 16 Гц) і ультразвуки (частота
формування в корі півкуль слухових відчуттів. Слухові відчуття в процесі розвитку людини дуже тісно пов’язані з мовою. Дитина, яка втратила слух у ранньому віці (до того, як навчилася говорити), втрачає здатність до мовлення, хоча її мовленнєвий апарат
ються слуховим нервом (нервове проведення збудження). Інформація про зміни в довкіллі надходить до слухової зони, де відбувається кіркове формування слухових відчуттів. Звукові коливання надходять до завитки також через кістки черепа. Цей шлях сприйняття звуків малоефективний, тому застосовується в окремих випадках. Так сприймаються звуки людиною у воді або при використанні слухового апарата. Біологія + Медицина Як називається розділ медицини, що вивчає вухо? Яке значення має гравітаційна сенсорна система?
Гравітаційна сенсорна система (або сенсорна система рівноваги) сприймає прискорення, розташування тіла в просторі, зміни положення голови й тулуба, координує рухи та
Перший етап сприйняття — гравітаційну механорецепцію — здійснюють волоскові клітини (вестибулярні рецептори), у яких виникає збудження після механічного подразнення рідиною внутрішнього вуха. Волоскові клітини отолітового апарату, що розташовані на внутрішніх ділянках присінка, сприймають прямолінійні прискорення під час горизонтальних і вертикальних рухів. А в ампулах півколових каналів, розташованих взаємоперпендикулярно в трьох різних площинах, містяться
ється відчуття закачування, і до кори півкуль, де створюються свідомі відчуття розташування тіла в просторі.
Кіркове формування відчуттів відбувається в єдності із зоровими, слуховими та іншими відчуттями й відіграє важливу роль у пізнанні людиною просторових зв’язків.
Біологія + Фізика Ходіння, їзда на велосипеді, стрибання, катання на ковзанах, плавання, біг і падіння були б неможливі без цієї фізичної фундаментальної сили. Назвіть її.
Коротко про головне
Вухо людини — це орган чуття, що забезпечує слух та рівновагу.
анатомічних утворів, які
в просторі.
Діяльність
Навчальне завдання. Як сприймається звукова інформація? Самостійне перетворення знань з використанням схеми «Функціонування». СЛУХОВА та ГРАВІТАЦІЙНА
Розвивальне завдання. У чому взаємозв’язок функцій та будови вуха людини? Практична вправа. Будова внутрішнього вуха. Ціннісне завдання. «Учені Манчестерського центру аудіології і глухоти у Великій Британії виявили зв’язок між проблемами слуху та рівноваги і Covid-19». Цікаво, яким чином віруси можуть впливати на слух та рівновагу? Вправа для переконаності. Зв’язок слуху та рівноваги у людини. Результат Очікувані результати навчання (Учень / учениця...)
• аналізує знання: про СЛУХОВУ та ГРАВІТАЦІЙНУ
ставлення на рівні переконаності та обґрунтовує: твердження
Саморозвиток Самонавчання. Пізнавальне завдання. Правило-орієнтир. Як покращити навички аудіювання?
Самооцінювання. Продуктивно-конструктивне завдання. Тест-конструювання. Слухова та гравітаційна
Миша має не менше 1000 різних типів рецепторних клітин або сенсорів, які реагують на різні запахи. У людей деякі гени дегенерували, і ми можемо мати лише 350 типів сенсорів. Нюховий світ миші чи собаки, швидше за все, нескінченно багатший за наш власний. Тим не менше, наш нюх значно підвищує якість нашого життя». Яке значення сенсорних систем, що оцінюють хімічні впливи середовища?
ЗМІСТ
Як функціонує нюхова сенсорна система? Органом нюху є ніс із нюховими нейронами, кількість яких досягає 10 млн. Розташовані ці клітини
участь не тільки волокна
час нежитю). Кіркове
в нюхових полях скроневої частки півкуль, що має зв’язок з багатьма іншими чутливими ділянками. Нюх у людини розвинутий краще, ніж смак, — він дає змогу розрізняти більше ніж 10 000 різних
запахів. Крім здійснення інформаційної функції, нюх бере участь у регуляції обміну речовин та поведінки.
мозку.
Біологія + Психологія Запахи пов’язані з емоціями, впливають на поведінку, покращують пам’ять тощо. Наприклад, аромат лаванди діє заспокійливо, а м’яти покращує розумову діяльність. Як можна використовувати запахи для поліпшення якості життя?
Як відбувається сприйняття смаку в людини?
Смакова сенсорна система також сприймає хімічні впливи середовища та формує смакові відчуття, бере участь у регуляції обміну речовин та поведінки. Органом смаку в людини є язик, який визначає смакову хеморецепцію. Сприймання смаку зумовлене смаковими бруньками, кількість яких — близько 2 тисяч. Розташовані смакові бруньки на язиці, внутрішній поверхні щік і піднебіння. Проведення нервового збудження, що виникає у
здійснюють аж 4 пари нервів (трійчастий, лицевий, язико-глотковий, блукаючий). Нервові волокна цих
зок, таламус і гіпоталамус проміжного
забарвленість відчуття смаку. Кіркове формування смакових відчуттів відбувається у смакових полях скроневої частки. Виділяють п’ять основних типів смакових відчуттів: відчуття солоного, кислого, солодкого, гіркого та пікантного (умамі).
Яке значення сомато-вісцеральних сенсорних систем?
Сомато-вісцеральна сенсорна система — це комплекс, у складі якого розрізняють соматичні (тактильна, температурна, больова, пропріорецептивна) і вісцеральну (інтерорецептивну) сенсорні системи.
Таблиця 26. СОМАТО-ВІСЦЕРАЛЬНА СЕНСОРНА СИСТЕМА
Тактильна сенсорна система Рецепторний Механорецептори шкіри (вільні нервові закінчення, некапсульовані дотикові нервові тільця (тільця Мейснера), пластинчасті тільця (тільця Фатера-Пачіні) та ін.).
Провідниковий Чутливі волокна спинномозкових
чутливості (тім’яна частка), де формуються відчуття
де формуються кінестетичні відчуття Інтерорецептивна сенсорна система
Рецепторний Інтерорецептори внутрішніх органів, тканин, судин
шлунка, печінки, серця та ін.
Діяльність
Навчальне завдання. Як сприймається хімічна інформація? Оцінювання знань з використанням схеми «Функціонування». НЮХОВА ТА СМАКОВА СЕНСОРНІ СИСТЕМИ.
Розвивальне завдання. Як відбувається сприйняття дотику, температури, болю в людини? Проблемно-пізнавальна вправа. Шкірна чутливість та біологічна індивідуальність.
Ціннісне завдання. «Природа дала людині один язик і два вуха, щоб ми більше слухали інших, аніж говорили самі» (Епіктет). Чи можуть зорові та нюхові відчуття
для вибірковості.
(1953)
ДОСЛІДЖЕННЯ Цікаво! Бельгійські нейробіологи довели, що навчання ефективніше в незнайомому місці. Нові умови сприяють секреції дофаміну, у люди-
ни покращується настрій, підвищується мотивація, з’являється відчуття задоволення, головний мозок швидше обробляє інформацію. Цікаво, яким чином цей гормон впливає на функціонування сенсорних систем?
ЗМІСТ
Які чинники порушують сприйняття інформації
Переважна більшість порушень зору пов’язана з недотриманням гігієнічних правил, травмами ока,
До цього призводять безмірне захоплення
і ґаджетами, несприятлива екологічна ситуація, «нерозумне» харчування, куріння, зловживання штучною косметикою та ін. Найчастіше трапляються порушення заломлення світла — короткозорість і далекозорість. Зовнішні частини ока доступні безпосереднім впливам зовнішнього середовища, що можуть спричиняти астигматизм, косоокість, запалення кон’юнктиви (кон’юнктивіт), рогівки (кератит) тощо. Вікові зміни і загальні запалення можуть призводити до помутніння кришталика — катаракти. При порушенні нормальної циркуляції рідини в оці може підвищуватися внутрішньоочний тиск і розвиватися глаукома. Нестача вітаміну А спричиняє значне погіршення сутінкового зору, тобто так звану курячу сліпоту. Порушення кольорового зору називається дальтонізмом. Це переважно розлади сприймання червоного й зеленого кольорів через відсутність певних типів колбочок у сітківці ока. Дальтонізм

(вірус краснухи, бактерії сифілісу), неінфекційними захворюваннями (діабет, гіпертензія, менінгіт), ускладненнями під час вагітності (унаслідок уживання алкоголю та наркотичних речовин, захворювання на краснуху), травмами (наприклад, механічне пошкодження барабанної перетинки), а також певними лікарськими препаратами (аспірин, стрептоміцин) чи токсичними речовинами (свинець, ртуть). Із хвороб вуха найчастіше зустрічається отит. Залежно від того, який відділ вуха уражений, розрізняють зовнішній, середній та внутрішній отити. Передача звукових коливань може порушуватися через втрату рухомості слухових кісточок — отосклероз. Втрата слуху може відбутися і через порушення провідності слухового нерва. Основними причинами розладів смаку та нюху є механічні травми, висока температура їжі чи повітря, що вдихається, інфекції (віруси грипу, COVID-19), дія токсичних речовин, отруйні сполуки, хіміотерапевтичні лікарські препарати, дефіцит вітамінів та мікроелементів (Цинк, Купрум), тютюнопаління тощо.
Розлади рівноваги можуть виникнути, коли є порушення будь-якої з таких систем: гравітаційна, зорова чи пропріорецептивна. Порушення функції рівноваги можуть спричинювати захворювання внутрішнього вуха, низький кров’яний тиск, пухлини чи травми мозку. Найвідомішим із порушень рівноваги є морська хвороба — захворювання, яке виникає в результаті монотонних коливальних рухів. Проявляється відчуттям заколисування, запамороченням, нудотою, втратою апетиту, а в разі тяжчого перебігу — і блюванням. На неї страждають не лише ті, що подорожують морем, а й пасажири в автомобілях, потягах і літаках.
Біологія + Писемність Прочитайте повідомлення, що подається символами шрифту Брайля.
Повідомлення:
Які основні напрями сучасних досліджень сенсорних систем
людини?
Сенсорні системи, їх будова
та функціонування є предметом
досліджень не лише сенсорної фізіології. Методи біофізики та
біохімії застосовуються для роз-
криття сутності фізичних та
хімічних процесів, що є основою
перетворення енергії подразників у нервові імпульси. Молекуляр-
на генетика та молекулярна біо-
логія вивчають закономірності
збереження й реалізації спадкової інформації про гени та білкирецептори. З’ясовано, що за сприйняття запахів відповідають 1000 генів, тоді як за зір — п’ять, а за слух — лише два (Л. Бак, Р. Ексел). Виявлено, що в сітківці
людини є не лише палички і колбочки, а й фоторецепторні гангліозні клітини (С. Куфлер), що містять меланопсин (І. Провансіо). Відкрито новий вид смакових відчуттів умамі (К. Ікеда), рецептори температури і дотику (Д. Джуліус, А. Патапутян).
Новітні дослідження сенсорних систем сприяють постійному розвитку медичних наук, зокрема офтальмології та отоларингології. Найперспективнішими напрямами та новими технологіями в цих галузях є: генотерапія (зміна або заміна генів у клітинах людини для лікування або запобігання спадковим захворюванням, наприклад, дальтонізму), тканинна інженерія (технології створення штучної рогівки чи сітківки, які можна імплантувати в око для відновлення зору), біоінженерія (технологія кохлеарної імплантації полягає в протезуванні слухового аналізатора шляхом вживлення штучного електронного вуха; технології застосування ультразвукового скальпеля в хірургії ЛОР-органів). Принципи організації сенсорних систем застосовують у багатьох інших галузях. Бездротові сенсорні
можуть вимірювати умови навколишнього середовища, застосовуються
228
бази), розвідка. Сенсорні екрани зазвичай зустрічаються в смартфонах, планшетах, ноутбуках та інших електронних пристроях. У військовій галузі використовують сенсорні аналізатори (наприклад, тепловізори), сенсорні системи для отримання розвідувальної інформації (наприклад, сенсорна система виявлення вторгнень на полі бою BAIS), сенсорні технології та дрони, які оснащені оптичними, магнітними та електромагнітними датчиками для виявлення мін.
Біологія + Технології Що таке «Інтернет речей» (англ. Internet of Things, IoT)?
Коротко про головне Функціонування сенсорних
Діяльність
Навчальне завдання. Які особливості сенсорних систем людини? Моделювання змісту теми. СПРИЙНЯТТЯ ІНФОРМАЦІЇ.
Розвивальне завдання. Чому виникають порушення роботи сенсорних систем? Інфографіка. Вплив чинників середовища на сприйняття інформації людиною.
Ціннісне завдання. Яке значення знань про сприйняття інформації? Проєкт на одну з тем щодо оцінювання впливу досягнень природничих наук і техніки на добробут і здоров’я людини.
Результат Очікувані результати навчання
229
Вступна вправа Прочитайте запропоновані рядки і за 1 хвилину в кожному з них знайдіть зайве слово.
1. Нейрон, нерви, нервові вузли, гормон, синапси.
2. Молоко, сир, сметана, йогурт, сало.
3. Краб, судак, кумка, вуж, пугач, їжак.
Чому виконання цього завдання є результатом вищої нервової діяльності?
ЗМІСТ
Які значення ВНД?
Уся сукупність процесів, що відбуваються за участю нервової системи, має рефлекторний характер і забезпечує реалізацію її
адаптаційної, гомеостатичної
рефлекторних реакцій
функцій. Одна
регуляцію фізіологічних функцій організму та його рухової активності (нижча нервова діяльність), а інша — регулює взаємовідносини цілісного організму із зовнішнім світом (вища нервова діяльність). Фізіологічною основою першого виду нервової діяльності називають безумовні рефлекси, другої — умовні. Але насправді це нерозривна єдність вроджених і набутих реакцій. Координація всіх нервових процесів відбувається за участю центральних відділів нервової
структури завдяки спільній діяльності об’єднують та здійснюють контроль
цесів і є вищими осередками всієї нервової діяльності.
Спрямованість нижчої нервової діяльності пов’язана із забезпеченням вродженої поведінки, прояви якої зумовлюють фізіологічні процеси життєдіяльності та збереження фізичного здоров’я (травлення, дихання та ін.). Вища нервова діяльність
подразників. Умовні рефлекси
умов та є відповіддю на дію попередньо байдужого подразника, що став сигнальним для певної реакції.
Таблиця 27. ПОРІВНЯЛЬНА
Безумовні рефлекси Умовні рефлекси
Особливості:
• Сигналом є безумовний подразник
• Вроджені, спадкові, постійні, видові
• Здійснюються через рефлекторні дуги
• Нервові центри — у стовбурі ГМ і СМ
Приклади: дихальні (чхання, кашель), орієнтувальні, колінний, зіничний, хапальний
Біологічне значення: зберігання цілісності організму, підтримання гомеостазу та розмноження; є основою для формування багатьох умовних рефлексів.
Особливості:
• Виникають на дію умовних подразників
• Набуті, неспадкові, тимчасові, індивідуальні
• В основі — тимчасові функціональні зв’язки
• Нервові центри — в корі
Приклади: вегетативні (харчові, дихальні, серцево-судинні) і соматорухові, натуральні й штучні та ін.
Біологічне значення: індивідуальна адаптованість до конкретних умов; забезпечують відповідь на подразник ще до початку його дії (сигнальне значення) Біологія + Кіно Якось Чарлі Чаплін вирішив допомогти своєму другові на конкурсі
рівні вони вже не змогли. Яка рефлекторна дія мала місце у цій пригоді?
Чим відрізняються типи вищої нервової діяльності?
Тип вищої нервової діяльності — це сукупність вроджених особливостей нервових процесів, що характеризують вищу нервову діяльність людини. Виділяють такі особливості збудження та гальмування, як сила, урівноваженість і рухливість: – сила збудження — це здатність нервових клітин відповідно реагувати на сильні подразнення без розвитку гальмування; – сила гальмування зумовлена здатністю
тримувати стан активного
урівноваженість нервових
Нестримний Холеричний Сильний неурівноважений
Слабкий Меланхолічний Слабкі процеси збудження й гальмування
Біологія + Мистецтво На ілюстрації літографія «Руки, що малюють» (Мауріц Корнеліс Ешер, «Drawing Hands», 1948). Чи існує взаємозв’язок між ВНД, праворукістю та мовою людини?
Навчальне завдання. Чим
діяльності? Опорний конспект. ВИЩА НЕРВОВА ДІЯЛЬНІСТЬ (ВНД).
Розвивальне завдання. Чим відрізняються безумовні та умовні рефлекторні дії? Інтелектуально-розвивальна вправа. Порівняння безумовних та умовних рефлексів.
Ціннісне завдання. Які причини індивідуальних відмінностей ВНД людини? Домашній практикум. Визначення типу ВНД.
Результат Очікувані результати навчання (Учень / учениця...)
• визначає: основне поняття ВИЩА НЕРВОВА ДІЯЛЬНІСТЬ
• усвідомлює пізнавальну ситуацію
Усвідомлюємо! У 1973 році Карл фон Фріш, Конрад Лоренц і Ніколас Тінберген були відзначені Нобелівською премією з фізіології та медицини «за відкриття щодо
організації та виявлення індивідуальних і соціальних моделей поведінки тварин». Яке значення цих
досліджень для розуміння проявів
поведінки людини?
ЗМІСТ
Що таке поведінка?
Поведінка людини є складною сукупністю активних дій з рядом особливостей, зумовлених біосоціальною природою. Людська біологічна природа проявляється у вродженій поведінці, соціальна — у набутій. Функціональною основою
діяльність, рефлекси та їх системні утворення — інстинкти й динамічні стереотипи. Реалізація поведінкових проявів відбувається завдяки функціонуванню органів різних фізіологічних систем. Рушійні чинники. У процесі історичного розвитку (філогенезу) становлення поведінки людини відбувалося під впливом природних (боротьба за існування, спадкова мінливість, природний добір) та соціальних (праця, суспільний спосіб життя, мовлення і мислення) чинників.
Формувальні чинники. Розвиток поведінкових дій людини упродовж індивідуального розвитку (онтогенезу) — це результатом взаємодії генотипу й умов середовища, тому ці дві основних форми поведінки нерозривно взаємопов’язані.
Одними з важливих компонентів поведінки, що визначають її становлення упродовж онтогенезу, є потреби та мотивації. Біологічні потреби (у повітрі, їжі, воді, русі, відпочинку та сні, безпеці, тепловому комфорті, продовженні роду тощо) зумовлені необхідністю підтримувати гомеостаз і виникають після змін у внутрішньому середовищі. Соціальні потреби (спілкування, взаєморозуміння, суспільної діяльності, самореалізації, творчості,
чинників. Які особливості вродженої поведінки людини?
ВРОДЖЕНА ПОВЕДІНКА — сукупність складних вроджених
дотипових поведінкових реакцій, пов’язаних у своєму виникненні з біологічними потребами і нижчими емоціями. Ці біологічні реакції забезпечують діяльність внутрішніх органів та є основою харчування, дихання, травлення, транспортування речовин, розмноження тощо. Які ж особливості вродженої поведінки людини?
1. Функціональною основою вроджених форм поведінки людини є безумовні рефлекси та інстинкти. Інстинкт (від лат. instinctus — спонукання до дії) — вроджена пристосувальна форма поведінки у вигляді системи безумовних рефлексів, що виникає у відповідь на зовнішнє чи внутрішнє подразнення. Загальноприйнятим у теорії інстинктів є виділення трьох груп інстинктів. Їх іще називають основними, чи базовими. Це інстинкти самозбереження (оборонний, орієнтувальний), інстинкти живлення (питний, харчовий) та інстинкти розмноження (батьківський, материнський). Крім них, досить часто називають ще соціальні інстинкти, інстинкти самовдосконалення (дослідницький, ігровий) та інстинкти внутрішньовидової агресії (інстинкт боротьби).
2. Прояви вродженої поведінки виникають при відповідних біологічних потребах (нижчих мотиваціях), що необхідні для життя. Це потреба в їжі, у воді, безпеці, статева потреба тощо, які й будуть мотиваційними сигналами. Так, якщо виникає потреба в їжі, з’являється відчуття голоду і людина починає активно досліджувати навколишнє середовище. Це пошукова фаза поведінкового акту. Саме на цій стадії в людини до її природних поведінкових реакцій додаються набуті реакції, що поліпшують результат.
3. Вроджена поведінка високоадаптивна і не потребує попереднього научіння. Так, страх перед зміями є проявом інстинкту самозбереження. Людину ніхто не вчить, як реагувати, коли несподівано побачили гадюку на кам’янистому березі річки.
4. Вроджена поведінка видотипова, її прояви однакові у всіх представників виду. Так, однаковими є інстинктивні рухи м’язів жінки під час пологів, мімічні вирази обличчя
5.
науково-популярних статей про інстинкти написано: «Запитувати, від чого залежить вроджена поведінка людини: від генотипу чи умов середовища, — це все одно, що запитувати, від чого залежить площа геометричної фігури від довжини чи від ширини». Застосуйте знання про вимірювання площі геометричних фігур і доведіть складність вродженої поведінки людини.
Які ознаки та значення набутої поведінки людини? НАБУТА ПОВЕДІНКА ЛЮДИНИ — сукупність складних набутих індивідуальних поведінкових реакцій, пов’язаних у своєму виникненні здебільшого із соціальними потребами та вищими емоціями. Які ж особливості набутої поведінки людини?
1. Функціональною основою набутої поведінки людини є умовні рефлекси та динамічні стереотипи. Динамічний стереотип складна система послідовних стабільних умовних рефлексів, що полегшує виконання багаторазово повторюваних дій. Яскравим прикладом динамічних стереотипів є різноманітні рухові навички: ходьба, біг, плавання, катання на лижах, гра на музичних інструментах, уміння писати та ін. Динамічні стереотипи дають змогу людині виконувати певні дії без значного напруження нервових центрів кори великого мозку.
2. Провідну роль у виникненні проявів набутої поведінки відіграють соціальні потреби (вищі мотивації) (потреби в безпеці, любові, визнанні, самоствердженні та ін.).
3. Набута поведінка потребує попереднього научіння. Научіння людини — це способи накопичення індивідуального досвіду. Основними видами научіння є звикання, наслідування (соціальне научіння), закарбування, научіння шляхом спроб та помилок, осяяння, вироблення умовних рефлексів та ін. Вищою формою научіння в людини є пізнавальне (когнітивне) научіння, яке робить можливим прогнозування результатів дій.
4. Набута поведінка індивідуальна, тобто має набуті реакції, що є різними у всіх представників виду.
5.
6.
праці, мови й абстрактного мислення. Продуктом мислення є свідомість, що забезпечує особливе людське відображення навколишнього світу і себе та інших людей у ньому.
Біологія + Література «Єдина відома мені розкіш — це розкіш людського спілкування», — говорив Антуан де Сент-Екзюпері. Які форми спілкування використовує людина?
Коротко про головне
ПОВЕДІНКА ЛЮДИНИ — це сукупність
життя.
Діяльність
Навчальне завдання. Які особливості поведінки людини? Опис за схемою. ПОВЕДІНКА ЛЮДИНИ. Розвивальне завдання. Які особливості проявів вродженої поведінки? Лабораторна вправа. Визначення реакції зіниць на світло
Ціннісне завдання. Яке значення мовлення у формуванні проявів набутої поведінки? Домашній практикум. Утворення умовного зіничного рефлексу на дзвінок і слово «дзвінок». Результат Очікувані результати навчання (Учень / учениця...)
• описує: особливості ПОВЕДІНКИ ЛЮДИНИ
• формулює очікувані результати: для ОБҐРУНТУВАННЯ
поведінки
свідомості й була абсолютно незалежною від іншої щодо навчання та збереження. Крім того, у кожного був свій власний світ перцептивного досвіду, емоцій, думок і пам’яті, абсолютно недосяжний для іншої півкулі головного мозку» (Р. Сперрі). Яке значення мають знання кори півкуль для розуміння таких вищих функцій мозку, як сприйняття, увага, пам’ять, мислення і мовлення?
ЗМІСТ
Як відбувається обробка інформації в корі півкуль?
Основним організатором найскладніших проявів психічної та інтелектуальної діяльності людини є великий мозок (лат. telencephalon), що складається правої та лівої півкуль. Ці частини мозку з’єднані мозолистим тілом, що утворене з мієлінових волокон, для проведення інформації до різних частин кори півкуль. Важливою характеристикою півкуль великого мозку людини є розподіл функцій між ними, так звана функціональна спеціалізація. Ліва
півкуля відповідає за аналіз інформації та мовлення, читання, письмо, а
права — за синтез та образне сприйняття, уяву, інтуїцію. У кожну півкулю нервові імпульси надходять з
протилежної сторони тіла: права півкуля отримує інформацію від органів лівої частини, а ліва — навпаки. Для успішної роботи потрібна злагоджена робота кори обох півкуль мозку.
КОРА ПІВКУЛЬ ВЕЛИКОГО
МОЗКУ — це високодиференційова-
такі складові елементи: древня кора (палеокортекс), пов’язана з най-
Іл. 90. Значення кори півкуль: 1 — первинне нюхове поле; 2 — лобове поле
кору потиличної, тім’яної, лобової, скроневої часток.
шари, нейрональні
природа, здається,
складності та різноманітності», — зауважував один із відомих нейроанатомів С. Рамон-і-Кахаль.
Різні за будовою, розташуванням та функціями ділянки кори називаються цитоархітектонічними полями. Найбільше визнання отримала карта П. Бродмана, у якій 52 поля. Ці ділянки кори відповідальні за виконання таких функцій вищого порядку, як сенсорне сприйняття, руховий контроль та пізнання. За цим критерієм розрізняють чутливі, рухові та асоціативні поля. Чутливі поля (зорові, слухові, нюхові, смакові, соматосенсорні) є ділянками аналізу сенсорної інформації, рухові (моторні) — контролюють складні рухові дії, асоціативні — аналізують, синтезують, зберігають інформацію. Саме з ними пов’язані навчання, мовлення, мислення, свідомість. Асоціативні поля утворюють нервові мережі, що розташовуються у різних частинах кори. Так, обробка інформації, пов’язаної з мовленням, відбувається в областях Брока та Верніке, базальних вузлах (наприклад, смугасте тіло).
Біологія + Латина «Cogito ergo sum» — говорив Рене Декарт. Що означає цей латинський вислів?
Яке значення уваги та сигнальних систем для обробки інформації?
Інформація із середовища надходить до кори півкуль у вигляді впливів природних подразників (світло, звук, запах тощо) та слів, що є узагальненням певної інформації. Тому розрізняють такі поняття, як перша та друга сигнальні системи.
Перша сигнальна система — це сукупність нервових процесів, що виникають у корі півкуль великого мозку під час безпосереднього впливу на сенсорні системи чинників зовнішнього та внутрішнього середовищ. Анатомічною основою
сигнальної системи є сенсорні системи, а відчуття, що формуються в корі, є основою для конкретного мислення. Друга сигнальна система — це сукупність нервових процесів, що виникають у корі великого мозку на слова й позначені ними поняття. Анатомічною основою другої сигнальної системи є зорова та слухова сенсорні системи.
238
у лобній, тім’яній частках півкуль, взаємодіють між собою та забезпечують контроль уваги. За критерієм діяльності розрізняють сенсорну, інтелектуальну та моторну увагу, а за походженням — мимовільну (не залежить від волі та свідомості, виникає без будь-яких зусиль з боку людини) та довільну (виникає внаслідок свідомо поставленої мети і потребує певних вольових зусиль).
Яке значення має пам’ять для людини?
ПАМ’ЯТЬ це процес запам’ятовування, зберігання та відтворення інформації. Особливістю пам’яті людини є те, що вона формується головним чином на основі мовлення, а інформація зберігається у формі загальних положень та узагальнень. Тому дуже важливою умовою тривалого запам’ятовування знань є зрозуміле визначення основних понять. Чуттєве відображення того,
сів, тимчасові нервові зв’язки, що збереглися в корі півкуль великого мозку. При декількаразовому повторенні інформації тривала циркуляція цих імпульсів спричинює структурні зміни в нейронах. Зберігання інформації зумовлено, найімовірніше, перебудовою молекул РНК та утворенням специфічних білків. Із усієї інформації, що надходить у мозок, у довготривалій пам’яті зберігається лише 1 %. Згідно з концепцією трикомпонентної моделі (Р.-Ч. Аткінсон) пам’ять є результатом спільної діяльності трьох основних блоків: сенсорної, короткотривалої і довготривалої пам’яті. У сенсорній пам’яті інформація, що надійшла від органів чуття, зберігається дуже короткий час (до 1 с). З цього блоку до короткотривалої пам’яті передається лише частина інформації. Обсяг цієї пам’яті невеликий (7±2 інформаційних сигнали), інформація зберігається близько 30 с. Блок довготривалої пам’яті має необмежений обсяг пам’яті, інформація в ньому може зберігатися дуже довго. Таблиця 28. ВИДИ ПАМ’ЯТІ Види пам’яті
інформацію словосполучень чи виразів.
Біологія + Нейрокібернетика Blue Brain Project — проєкт з біокібернетичного моделювання кори півкуль великого мозку людини, який розпочався у 2005 році. Яке значення мають дослідження ділянок кори півкуль для створення нейрокомп’ютерів? Коротко
Діяльність
Навчальне завдання. Яке значення кори півкуль
поведінці людини? Пояснення з використанням опорної схеми. КОРА ПІВКУЛЬ ВЕЛИКОГО МОЗКУ.
Розвивальне завдання. «Якби ви вчились так, як треба, То й мудрість би була своя!» (Т. Шевченко). Як кора півкуль великого мозку людини отримує та здійснює обробку інформації? Інтелектуально-розвивальна вправа. Сигнальні системи та функціональні поля кори півкуль.
Ціннісне завдання. Чому різні види пам’яті у людини розвинені неоднаково? ПРАКТИЧНА
пам’яті.
Результат
• організовує
ЕТАПИ
Вправа для мислення. Для створення назви видів тварин часто враховують особливості живлення. Увідповіднюю запропоновані слова та визначаю назви тварин. За умови
правильних відповідей отримую назву богині розуму
в грецькій міфології.
ЗМІСТ
1 Павук-…
2
3
4
5
Які основні етапи пізнавальної діяльності людини?
Пізнання є відображенням навколишньої дійсності у свідомості
людини. Завдяки сукупності пізнавальних процесів здійснюється вибір важливої інформації (увага), перетворення сенсорної інформації в чуттєві образи (відчуття, сприйняття, уявлення), збереження та відтворення досвіду (пам’ять), перетворення інформації у знання (мислення) та їх використання в діяльності (мовлення). У пізнанні людини виділяють два рівні: чуттєвий (здійснюється за допомогою відчуття, сприйняття, уявлення) і раціональний (мислення, мовлення). У людини навколишні предмети і явища за участю кори півкуль відображаються у формі відчуттів, сприйняття, уявлень та мислення.
предметів і явищ. Виникають відчуття в чутливих зонах кори півкуль завдяки діяльності сенсорних систем. Відповідно відчуття можуть бути зоровими, слуховими тощо. У людини відчуття набули особливого розвитку і стали джерелом її знань про навколишній світ. Сприйняття — процес чуттєвого відображення предметів і явищ навколишнього світу
Біологія + Психологія На ілюстрації
зображені контури двадцяти різних тварин. Знайдіть цих тварин, витративши якнайменше часу.
Яка роль мислення у відображенні дійсності? Мислення базується на відчуттях, сприйнятті та уявленнях про навколишній світ. Від їх різноманітності, яскравості, глибини залежать властивості самого мислення. Фізіологічною основою мислення є тимчасові нервові зв’язки, які утворюються в корі великих півкуль. У людини виділяють конкретне і абстрактне мислення. Конкретне мислення — це форма мислення, що пов’язана з аналізом і синтезом сигналів навколишнього світу, що надходять від рецепторів
системи. Ця форма мислення
клади встановлення
міркування та
що відображають ознаки предметів та можливі зв’язки між предметами. Розвиток мислення і пізнання
розумових операцій: аналіз, синтез, порівняння, узагальнення, абстрагування, класифікація, систематизація та ін.
Біологія + Мистецтво Називаю митця, який є автором всесвітньо відомої скульптури «Мислитель».
Які фізіологічні основи мовлення?
МОВЛЕННЯ — це процес використання інформації для спілкування, інтелектуальної діяльності та збереження й передавання досвіду. Під час мовлення використовуються певні звукові та графічні знаки, що у систематизовану вигляді утворюють мову. За допомогою мови людина дає назви предметам, розмірковує про них, сприймає їх у минулому та майбутньому, обмінюється думками. Мовленнєвий апарат складається з органів, які безпосередньо беруть участь в утворенні звуків, зокрема: гортань, язик, піднебіння, зуби, губи, носова порожнина. Функціональна організація мовлення людини
242
1) містить ряд підкіркових структур, насамперед асоціативні ядра таламуса; 2) пов’язана з певним рівнем свідомості; 3) важливою умовою є збереження міжпівкулевих зв’язків за участю мозолистого тіла. Жодна з тварин не здатна утворювати назви різних речей, вкладати зміст у слова і
сигнальної системи, тому всі їхні звуки є формами сигналізації і звукової комунікації.
Біологія + … В печері Альтамірського пагорба (Іспанія) на стелі є всесвітньо відомі древні малюнки тварин, зроблені першими розумними
є ці малюнки свідченням
ного мислення?
Коротко про головне
Навчальне завдання. Що
перетворення знань з використанням схеми «Хмарка термінів». Етапи пізнання.
Розвивальне завдання. Чим відрізняється мислення людини і тварин? Інтелектуально-розвивальна вправа. Мислення людини і тварин.
Ціннісне завдання. Які фізіологічні основи мовлення? Вправа для переконаності. Біологічні
СВІДОМІСТЬ
Вступна вправа. Тест «Числовий ряд». Відшукайте за-
кономірність у кожному з числових рядів:
а) 1 4 9 16 … … 49 64 81;
б) 8 12 10 16 12 … …;
в) 24 22 19 15 … …
ЗМІСТ
Які є форми та види научіння людини?
НАУЧІННЯ ЛЮДИНИ — це способи накопичення індивідуального досвіду в процесі взаємодії
організму із середовищем. Завдяки научінню у тварин і людини формується набута поведінка. Для тварин научіння є лише процесом зміни досвіду з метою пристосування до середовища. А в людини, крім цього механізму, існує ще научіння, спрямоване на засвоєння соціального досвіду з використанням мови.
Таблиця 29. ВИДИ НАУЧІННЯ ЛЮДИНИ Назва Суть І. Пасивні форми научіння — організм пасивно реагує
подразники з формуванням мимовільних змін поведінкових реакцій
1. Звикання (негативне научіння) Научіння, унаслідок якого зникає реакція на певний подразник, що повторюється (наприклад, звикання до шуму машин за вікном)
2. Закарбування (імпритинг) У кризові періоди розвитку міцно запам’ятовується вперше побачене (наприклад, закарбування новонародженим організму матері)
3. Вироблення умовних рефлексів
1. Мимовільне (латентне)
2. Миттєве
3. Научіння шляхом міркувань
Поповнення досвіду шляхом зіставлення явищ та формулювання висновків (наприклад, міркування під час розв’язування вправи)
Научіння слід відрізняти від навчання як організованої взаємодії
вчителя й учня, спрямованої на засвоєння знань, формування умінь та
навичок.
Біологія + … «Мауглі» — діти, які з раннього віку виховувалися тваринами: мавпами, ведмедями,
вовками. Чому ті люди, які мешкали у тваринних спільнотах перші 5–6 років життя, практично не можуть стати повноправними членами суспільства? Які особливості розумової діяльності людини?

РОЗУМОВА ДІЯЛЬНІСТЬ ЛЮДИНИ — діяльність, спрямована на поповнення досвіду із залученням пізнавальних форм научіння. Цей компонент поведінки має суспільну природу, оскільки забезпечує пристосовуваність людини до життя в суспільстві та опирається на досвід, нагромаджений попередніми поколіннями. У тварин (дельфіни, примати, воронові птахи, восьминоги) існує подібна діяльність, але вона має простіший характер. Науковці називають її елементарною розумовою діяльністю. Тварини з розвинутою нервовою системою здатні вловлювати зв’язки між явищами зовнішнього світу лише тоді, коли їх безпосередньо відчувають за допомогою зору, слуху, нюху тощо. Про розсудливу діяльність тварин свідчать такі ознаки, як екстраполяція (здатність передбачати хід якої-небудь події), використання знарядь праці та складні системи спілкування. У людини розумова діяльність є досконалішою завдяки праці, суспільному способу життя, розвиненому членороздільному мовленню та мисленню. Особливу роль у формуванні розумової діяльності людини відіграють пізнавальні форми научіння: шляхом міркувань та шляхом формування понять. Людина завдяки мовленню й абстрактному мисленню здатна вловлювати зв’язки між предметами і явищами зовнішнього світу навіть тоді, коли вони безпосередньо не відчуваються. Уява дає змогу людині передбачати події і відповідним чином конструювати свою діяльність. Так,
нейронауки та психології дозволяють виділити ряд основних ознак. – Свідомість є складною формою відображення дійсності, що виявляється через відчуття, сприйняття, уявлення, мислення, увагу, пам’ять, але не є тотожною жодному з них. – Свідомість людини нерозривно пов’язана з мовленням та абстрактним мисленням. Наші думки втілюються у словах і реченнях, вони можуть зберігатися і передаватися іншим людям.
Суб’єктивний досвід, в основі формування якого — здатність виокремлювати з навколишнього найважливіше, зосереджувати на ньому думки, здатність до цілепокладання, планування, прогнозування та оцінка дій стосовно інших людей.
Самосвідомість як здатність усвідомлення власного «Я», своїх індивідуальних особливостей.
Для розвитку свідомості
спілкуватися
ністю з іншими людьми.
Діяльність Навчальне завдання. Чим научіння відрізняється від навчання? Оцінювання знань з використанням «Інтелект-карти». НАУЧІННЯ
Розвивальне завдання. Які чинники впливають на формування інтелекту? Інтелектуально-розвивальна вправа. Основні правила розвитку розумової діяльності.
Ціннісне завдання. Чи існує зв’язок між свідомістю та мовленням людини? Вправа для вибірковості. Критерії свідомої поведінки людини. Результат
Оцінюємо! Лауреатами Нобелівської
премії з фізіології та медицини у 2014 році стали Джон О’Кіф, Мей-Брітт Мозер і Едвард Мозер «за відкриття клітин, які утворюють систему позиціонування в мозку». Відкриття цієї системи дає розуміння того, як нервові ансамблі клітин працюють разом, щоб виконувати вищі когнітивні функції. Що таке вищі когнітивні функції і чому вони відрізняються в різних людей?
ЗМІСТ
Які чинники впливають на розвиток вищих когнітивних функцій?
Когнітивні функції мозку — це пізнавальні функції людини, якими є відчуття, сприйняття, уявлення, мислення, мовлення, увага, пам’ять. Головний мозок як осередок фізіологічних процесів, що визначають ВНД і поведінку людини, володіє високою нейропластичністю. У нейронауці це поняття трактується як здатність мозку змінюватися та адаптуватися протягом
зв’язки, щоб зберігати та відтворювати інформацію. З часом повторне навчання зумовлює зміни у структурі та функціях мозку. Одним із ключових механізмів нейропластичності є зміни функціонування синапсів, що опосередковуються діяльністю іонних каналів, впливом нейромедіаторів, структурними
нервових мереж, рівнем нейрогенезу. Здатність мозку до нейропластичності залежить від впливу зовнішніх чинників: фізичні вправи (покращують мозковий кровообіг, активують утворення та відновлення нейронів із нейрональних стовбурових клітин), харчування (ефективність у покращенні когнітивних функцій показали омега-3 жирні кислоти, поліфеноли зеленого чаю й какао, куркурмін, вітаміни групи B, холін), сон (достатній та якісний сон відіграє вирішальну роль у вдосконаленні нейронних ланцюгів під час розвитку мозку та навчання). Суттєво покращують здатність мозку до адаптації регулярна новизна та різноманіття середовища, регулярна розумова
grid cells та place cells лімбічної системи.
ссавців українською мовою.
ВНД людини відрізняється від подібної
тварин
востями, що зумовлені її біосоціальною природою. У поведінці людини особливе значення посідають вищі почуття, що є відображенням ставлення до соціальних явищ, вищі (соціальні) потреби людини, пов’язані з визнанням, самоствердженням, самореалізацією в умовах суспільства. Людське пізнання відрізняється такими особливостями пізнавальних процесів, як сприйняття впливів за участю двох сигнальних систем, передавання інформації з допомогою членороздільної мови, установлення закономірностей зв’язку між явищами з використанням абстрактного мислення, наявністю довільної пам’яті та уваги, що передбачають свідому постановку мети та вимагають певних вольових зусиль.
Біологічна індивідуальність — неповторна своєрідність будь-якого біологічного явища чи організму. Індивідуальні особливості в кожної окремої людини має і вища нервова діяльність. Це пов’язано насамперед із вродженими властивостями ЦНС, що визначаються генотипом. Індивідуальність ВНД людини проявляється найперше особливостями нервових та пізнавальних процесів: силою, рухливістю, врівноваженістю процесів збудження й гальмування, якостями сприйняття інформації, пам’яті, емоцій, уваги, розумової діяльності тощо. Індивідуальні якості формуються на основі індивідних (конституційних) особливостей центральної нервової системи на різних рівнях організації, типу вищої нервової діяльності, функціональної асиметрії півкуль великого мозку тощо. Так, у кожної людини поверхня півкуль є різною. Неповторність цієї поверхні зумовлена великою кількістю малих і великих борозен та звивин. Складки півкуль починають формуватися ще в зародковому періоді. У новонароджених вже є первинні, вторинні й третинні борозни, але вони продовжують розвиватися після народження, особливо до 1–2 років. До 2–7 років борозни і звивини вже мають такий вигляд, як у дорослої людини.
Яке значення мають дослідження ВНД людини? Вивчення біологічної основи ВНД та поведінки людини є предметом досліджень різних наук, серед яких чільне місце належить фізіології ЦНС та ВНД, етології людини, когнітивній нейробіології. Науковці використовують методи електрофізіології, нейроанатомії, нейрофізіології, медицини, молекулярної біології, генетики. Наприклад, електроенцефалографія дозволяє вивчати процеси, що відбуваються в головному мозку, та аналізувати активність
248
мовлення, закономірностей
тісно пов’язане з
досягнень науки відбувається в галузі інформації та телекомунікацій. Наприклад, програми, що зістарюють або замінюють обличчя, гугл-перекладачі повністю працюють на штучних нейронних мережах. Однією з практичних цілей для штучного інтелекту є реалізація аспектів людського інтелекту у створенні нейрокомп’ютерів, штучні нейронні мережі машинного зору взяли за основу схему з’єднання нейронів зорової кори. Прикладами використання таких технологій для охорони здоров’я можуть бути і звичні вже функції «здоров’я» у смарт-браслетах, годинниках, телефонах. Ноотропні препарати продемонстрували можливості нейрохімії щодо покращання функціонування мозку. Вони мають потенціал для стимулювання навчання, поліпшення пам’яті та розумової діяльності, підвищення пильності й уваги, зниження занепокоєння і страху. Ноотропні ліки застосовують від депресії, втрати пам’яті та деменції.
Дослідження нейроінженерії зосереджені на інтерфейсах між мозком і комп’ютером, які використовують безпосередній вплив постійного електричного струму через електроди на мозок та когнітивні функції. Створюються технології допомоги (біопротези рук, інвалідні візки з ментальним керуванням), «біонічне
(або
нейронний протез чи нейроімплант), ментального контролю над літальними апаратами чи наземними транспортними системами.
Поведінкові дослідження зосереджені на покращенні когнітивних функцій за допомогою алгоритмів навчання, віртуальної реальності. Так, середовище віртуальної реальності вже довело свою користь при підготовці пілотів, екіпажів танків і бронемашин. Технологія глибинного навчання допомагає моніторити медичні показники, які можуть не мати видимих ознак, і повідомить, якщо необхідна консультація лікаря або ж медичне втручання. Фінансова та страхова діяльність — ще одна галузь, де штучний інтелект максимально затребуваний.
Біологія + Техніка Дрони FPV — це безпілотні літальні апарати, які оснащені функцією «вид від першої особи» (First Person View — скорочено FPV). Оператор керує апаратом за допомогою пульта і бачить місцевість
Діяльність
Навчальне завдання. У чому взаємозв’язок
дини? Моделювання змісту теми.
І ПОВЕДІНКА.
Розвивальне завдання. Які природні та соціальні чинники є визначальними для формування ВНД людини? Графічне моделювання. Вплив чинників на ВНД.
Ціннісне завдання. Проєкт на одну із тем щодо усвідомлення значення природничих наук і техніки у розвитку культури.
Результат
Очікувані результати навчання (Учень / учениця...)
• узагальнює знання та формулює висновок: про особливості ВНД та ПОВЕДІНКИ ЛЮДИНИ
• розвиває творчі вміння самостійно переносити засвоєні
на ВНД та поведінку.
• виявляє ставлення на рівні індивідуальності
та
інтелектуально-пізнавальних умінь
Саморозвиток Самооцінювання. Які результати моєї навчальної діяльності? Діагностувальне завдання. ВИЩА НЕРВОВА
ДІНКА ЛЮДИНИ. НАУКА. Стимулювання
250
Міркуємо! «Гендер» описує ті характеристики жінок і чоловіків, які значною мірою створені суспільством, тоді як «стать» охоплює ті, які є біологічно детермінованими. Чим відрізняється чоловіча та
жіноча стать у людини?
ЗМІСТ
Що таке репродукція людини?
РЕПРОДУКЦІЯ, або розмноження, є фізіологічною функцію, що забезпечує самовідтворення виду. Для людини властиве статеве розмноження, у якому беруть участь статеві клітини. Ці клітини утворюються статевими залозами (або гонадами) двох типів — яєчниками та яєчками. Це залози змішаної секреції, які,
гамет, синтезують та виділяють статеві гормони і рідинні секрети. Особливості організму, пов’язані з репродукцією, починають формуватися ще на етапі розвитку зародка і продовжують розвиватися упродовж усього життя людини. Людина є біосоціальним видом, тому репродукція як життєво важлива функція піддається впливу не лише біологічних, а й соціальних чинників. Наприклад, важливу роль у створенні сім’ї відіграють психічна готовність майбутніх батьків, соціальні умови життя, суспільні норми поведінки та ін.
Які особливості репродукції людини?
Уся спадкова інформація про людський організм закодована в ДНК, що міститься в хромосомах. Їх у людини 46. Перед розмноженням з диплоїдних клітин статевих залоз формуються гамети, у яких по 23 хромосоми і половинний набір спадкової інформації. Для здійснення репродукції в організмі утворюються статеві клітини, або гамети. Після їх запліднення і злиття ядер повний набір спадкової інформації відновлюється. Ось чому діти
Чоловічий та жіночий організм відрізняються
Біологічна стать людини визначається як сукупність анатомічних, фізіологічних, біохімічних та генетичних
стосується не суто фізіологічних властивостей, за якими
статі,
ся чоловіки та жінки, а соціально сформованих рис, притаманних «жіночності» та «маскулінності». Всесвітня організація охорони здоров’я (ВООЗ) використовує термін «гендер» для визначення «соціально обумовлених ролей, моделей поведінки, діяльності, а також атрибутів, які дане товариство вважає необхідними для чоловіків і жінок». Чоловіча та жіноча стать характеризується певними статевими відмінностями, за якими розрізняють такі основні складові: хромосомна (набір статевих хромосом XY — чоловіча стать, XX — жіноча стать); гонадна (статеві залози, або гонади: жіночі — яєчники, чоловічі — яєчка), гаметна (чоловічі гамети — сперматозоони, жіночі — яйцеклітини), генітальна (внутрішні та зовнішні органи репродуктивної системи), гормональна (жіноча стать — переважають естрогени, чоловіча — андрогени), соматична (первинні та вторинні статеві ознаки). Визначення статі поділяється на три етапи: хромосомний, гонадний та фенотиповий. Хромосомна стать визначається в момент
фенотипових ознак, що зумовлюють зовнішню відмінність між чоловічою та жіночою статтю (відмінності обміну речовин, частоти серцевих скорочень і дихання, кількості формених елементів крові, будови скелета і м’язів тощо).
Біологія + Англійська мова Ген SRY (англ. sex determining region Y) відповідає за процес статевої диференціації на стадії ембріогенезу людини, появу чоловічих статевих ознак, розвиток статевих органів. Перекладаю назву українською мовою. Коротко про
Діяльність
Навчальне завдання. У чому біосоціальна суть розмноження людини? Опорна схема. СТАТЕВЕ РОЗМНОЖЕННЯ ЛЮДИНИ Розвивальне завдання. Що таке стать людини? Інформаційно-пошукова вправа. Складові компоненти статі людини та їх критерії. Ціннісне завдання. Вправа на визначення змісту ціннісної категорії. Що таке ГЕНДЕРНА РІВНІСТЬ? (Закон України
ст. 1).
Результат Очікувані результати
Усвідомлюємо! Символи Марса і Венери походять з античної астрології. Їх називають «дзеркалом Венери» та «щитом і списом Марса». У біологічній символіці знаки позначають біологічну стать і статеві клітини, що утворюються репродуктивною системою. Яке значення цієї системи органів?
ЗМІСТ Які основні функції репродуктивної системи людини?
Розмноження людини забезпечує РЕПРОДУКТИВНА СИСТЕМА (від лат. reproductio — відтворення) — сукупність статевих органів, які забезпечують репродуктивну, ендокринну та сексуальну функції. Розрізняють чоловічу та жіночу репродуктивні системи.
утворюються
яєчках,
репродуктивної
важливий процес називається заплідненням. Завдяки йому формується зигота, з якої розпочинається розвиток нового неповторного організму. Функціонування репродуктивних систем найтіснішим чином пов’язане з діяльністю інших фізіологічних систем, передусім з ендокринною та сечовидільною. Так, регуляція рівня статевих гормонів (естрогенів та андрогенів) контролюється складною системою зв’язку, у якій важливе місце посідають гіпоталамус, гіпофіз, надниркові залози, плацента. Органи репродуктивної системи пов’язані з сечовидільною системою. Наприклад, сечівник виконує і репродуктивну, і сечовидільну функцію.
Біологія + Хімія Цинк бере участь у різних важливих біохімічних процесах в організмі людини. Цей важливий мікроелемент підтримує репродуктивну функцію. Цікаво, яким чином?
Які функції та будова жіночої репродуктивної системи?
Жіноча репродуктивна система (лат. systema genitale femininum) здійснює репродуктивну (утворення яйцеклітин, запліднення, вагітність, пологи), ендокринну (секреція жіночих статевих гормонів) та сексуальну (сукупність
би, яєчники та парауретальні залози, які ще називають «жіночою простатою». Головні статеві
яєчники. Це парні органи овальної форми, розташовані біля лійкоподібних
маткових труб. У них містяться
Іл. 92. Внутрішні статеві органи жінки: 1 — яєчники; 2 — маткова труба; 3 — матка; 4 — шийка матки; 5 — піхва
яйцеклітини, які утворюються в організмі жінки ще до її появи на світ. Дозрівання яйцеклітин у яєчниках відбувається від завершення статевого дозрівання і до кінця репродуктивного періоду. Щомісяця в кожної жінки відбувається овуляція — одна з яйцеклітин досягає повної зрілості і виходить з яєчника. Після виходу яйцеклітина потрапляє в маткову трубу, уздовж якої просувається до матки. Якщо яйцеклітина не запліднюється, настає менструація. Крім яйцеклітин, у жовтих тілах яєчників є ендокринні клітини, що виділяють статеві гормони (естрадіол, прогестерон). Маткові труби — це парні органи, що зв’язують яєчники з порожниною матки. Загальна довжина маткової труби — близько 12 см. Захоплюючи зрілу яйцеклітину з яєчника, маткові труби забезпечують її живлення і переміщення до матки. У маткових трубах відбувається й запліднення з утворенням зиготи. Матка — порожнистий непарний м’язовий орган, у якому під час вагітності із зиготи розвивається зародок, плацента, плід. Розрізняють тіло матки, до якого підходять маткові труби, та шийку матки, що є
найвужчим кінцем цього органу. Матка переходить у піхву, через яку сперматозоони потрапляють у жіночий організм.
Біологія + Латина Визначаю українські назви для репродуктивних органів: латиною — ovarium, uterus, vaqina, vulva, clitoris.
Які функції та будова чоловічої репродуктивної системи?
Чоловіча репродуктивна система (лат. systema genitale masculinum) здійснює репродуктивну (утворення сперматозоонів, запліднення), ендокринну (секреція чоловічих статевих гормонів) та сексуальну (сукупність реакцій, пов’язаних зі статевим потягом) функції. Репродуктивну систему чоловіка утворюють зовнішні статеві органи (мошонка і статевий член), внутрішні статеві органи (яєчка, придатки яєчка, сім’явиносна протока, сім’яні міхурці, сім’явипорскувальна протока), передміхурова залоза (простата).
Іл. 93.
надходять до придатків яєчок, де досягають зрілості й зберігаються, поки не виводяться. Від кожного з придатків яєчок починається сім’явиносна протока, що з’єднується з протокою сім’яних міхурців. Це парні органи, що секретують рідину для забезпечення сперматозоонів поживними речовинами. Протоки придатків яєчок і протоки сім’яних міхурців зливаються в загальну сім’явипорскувальну протоку, що відкривається у канал статевого члена. Під сечовим міхуром навколо сечовипускного каналу розташовується простата. Вона утворює секрет, що захищає чоловічі гамети та підтримує їхню рухливість. Біологія + Латина Визначаю українські назви для репродуктивних органів: латиною — testis, scrotum, prostata, penis.
Коротко
секрецію
Діяльність
Навчальне завдання.
репродуктивної системи? Опис з використанням схеми «Ієрархія». РЕПРОДУКТИВНА СИСТЕМА ЛЮДИНИ.
Розвивальне завдання. Які причини відмінностей жіночої та чоловічої репродуктивних систем? Інформаційно-пошукова вправа. Порівняльна характеристика жіночої та чоловічої репродуктивних систем. Ціннісне завдання. Яким чином здійснюється взаємозв’язок репродуктивної системи з іншими системами організму? Вправа для сприймання. Взаємозв’язки репродуктивної системи. Результат
Очікувані результати навчання (Учень / учениця...)
• описує: особливості РЕПРОДУКТИВНОЇ
• формулює очікувані результати: для ІНФОРМУВАННЯ про причини відмінностей
Застосовуємо! «Змінюються пропорції тіла, ріст скелета випереджає розвиток м’язів, часто різко збільшується маса тіла. Через це змінюється робота серця, легень, кровообіг, організм «штурмують» гормони. Скорочується кількість нейронів головного мозку та з’єднань між ними, що сприяє підвищенню ефективності функціонування нейромереж: краще запам’ятовується інформація, розвивається здатність до креативного мислення, формуються переконання, визначаються види діяльності тощо». Яка основна причина таких змін?
ЗМІСТ
досягнення організмом такого анатомічного, фізіологічного та
що робить його здатним до розмноження. Відбувається статеве дозрівання у підлітковому віці. В організмі підлітків спостерігаються
ни, що торкаються
та ендокринної. Нерівномірність розвитку
ження серцевої діяльності, посилення збудливості. Варто зауважити, що підлітковий вік, який колись займав
стає тривалішим. З одного боку, статеве дозрівання починається раніше, а з іншого — дедалі більше затягується
лого життя.
Статеве дозрівання у хлопців відбувається від 11 до 19 років. Перші його ознаки — збільшення розмірів яєчок і статевого члена. У яєчках починають дозрівати сперматозоони і вироблятися чоловічі статеві гормони — андрогени. Під їхнім впливом формуються вторинні статеві ознаки: з’являється волосся на лобку, під пахвами й на обличчі, швидко ростуть скелет і м’язи. Плечі розширюються, а таз залишається вузьким. Збільшуються
хлопців: розширюються тазові кістки, а плечі залишаються вузькими. У віці 12–14 років у дівчат починаються менструації, які відбувається регулярно.
Біологія + Література У світовій літературі існує поняття підліткової літератури. Якими є особливості такої літератури?
Як утворюються статеві клітини?

Статеві клітини (гамети) це клітини, що забезпечують статеве розмноження. Гамети розвиваються із первинних статевих клітин, що закладаються ще в зародковому віці. Яйцеклітина — це жіноча статева клітина. У людини вона куляста нерухлива, розміром 130–200 мкм. Структурна організація зрілої яйцеклітини людини така ж, як і в інших ссавців, але має унікальні особливості. Ядро (пронуклеус) містить 23 хромосоми, у цитоплазмі (овоплазма) є такі органели, як мітохондрії, лізосоми, ЕПС. А ось комплекс Гольджі та рибосоми зустрічаються дуже рідко і яйцеклітина не має жовтка. Вкрита яйцеклітина цитоплазматичною мембраною (оволема), під якою 1–3 шари кортикальних гранул, що утворюють кортикальний шар. Після проникнення сперматозоона речовини гранул виділяються у проміжок під прозорою оболонкою і перешкоджають проникненню інших сперматозоонів. Над оволемою є неклітинний шар з білків та вуглеводів, що допомагає захистити яйцеклітину та відіграє важливу роль у заплідненні. Це прозора оболонка (zona pellucida). Над зоною — залишки фолікулярних клітин, що утворюють променевий вінець (corona radiata). Ці клітини відіграють роль у живленні та захисті яйцеклітини. Сперматозоони — чоловічі статеві клітини. Це рухливі клітини, які мають видовжену форму тіла, розміром 50–70 мкм. Сперматозоони мають головку, шийку і джгутик. Головка містить ядро з гаплоїдним набором хромосом, тоненький шар цитоплазми і акросому. Ця органела має ферменти, що
статевої зрілості організму ці клітини дозрівають і формуються для запліднення. Процес дозрівання яйцеклітин відбувається циклічно й називається менструальним циклом. Менструальний цикл (від лат. menstruus — щомісячне) — періодичні зміни в організмі жінки репродуктивного віку, спрямовані на можливість

зачаття. Тривалість його — найчастіше 28 днів. Початком менструального циклу умовно вважається перший день менструації. Приблизно в середині циклу (на 14 день) відбувається овуляція — вихід яйцеклітини з фолікула. На місці фолікула, що тріснув, виникає жовте тіло. Це тимчасова ендокринна залоза, що продукує гормон вагітності — прогестерон. Його функцією є підготовка слизової оболонки матки до занурення заплідненої яйцеклітини. Якщо цього не сталося, через 3–4 дні яйцеклітина гине, жовте тіло руйнується, слизова оболонка разом із кровоносними судинами відшаровується. Відбувається тимчасова маткова кровотеча, або менструація, що триває 3–5 днів. Після її закінчення слизова оболонка матки відновлюється і цикл розпочинається спочатку, але яйцеклітина дозріває вже в другому яєчнику. Сперматогенез — процес утворення й дозрівання сперматозоонів. На відміну від дівчат, в організмі хлопців утворення гамет із первинних статевих клітин починається лише в підлітковому віці й триває до глибокої старості (65–70 років). Тривалість цього процесу становить приблизно 73–75 днів. Сперматозоони утворюються в яєчках, а саме в звивистих сім’яних канальцях. Дозрілі гамети потрапляють у сім’явиносні протоки, де змішуються із сім’яною рідиною, утворюючи сперму. За один статевий акт виділяється 2–4 мл сперми, що містить до 300 млн сперматозоонів.
Біологія + Фізика Чому сперматозоони мають однойменний (негативний) заряд?
Яке значення статевих гормонів?
Статевими гормонами є андрогени та естрогени. Загалом андрогени вважаються «чоловічими статевими
оскільки вони мають маскулінізуючий ефект, тоді як естрогени та прогестерон
статевий гормон, що синтезується переважно жовтим тілом яєчників. Під впливом гормону слизова оболонка матки набуває здатність до імплантації заплідненої яйцеклітини. Крім того, гормон активує ріст молочних залоз, підвищує запас жиру, продукування інсуліну, сприяє накопиченню в печінці глікогену тощо.
Біологія + Хімія Переставляю склади та отримую назви гормонів, що є нейрохімічним підґрунтям романтичного кохання: ТЕ РОН ТЕС ТОС; ЕС ГЕН ТРО; ДО МІН
ПРЕ ВА СИН ЗО.
Коротко про головне
Діяльність
Навчальне завдання. Які особливості статевого
людини? Пояснення з використанням радіальної схеми. Статеве дозрівання (пубертат).
Розвивальне завдання. Що визначає особливості будови яйцеклітин та сперматозоонів? ЛАБОРАТОРНА РОБОТА 14. Взаємозв’язок будови та функцій статевих клітин.
Ціннісне завдання. Жінками й чоловіками не народжуються, а стають у процесі виховання, під впливом соціального оточення. Чи впливають на цей процес статеві гормони? Вправа для реагування. Статеві гормони та гендерна рівність.
Результат Очікувані результати навчання
Аналізуємо!
ЗМІСТ
Що таке онтогенез?
ОНТОГЕНЕЗ — індивідуальний розвиток організму
ної зиготи до завершення життя.
зріла людина повернутися у своє
фантазії.
Індивідуальний розвиток починається із заплідненої яйцеклітини — зиготи, яка формується після запліднення. Ця клітина починає ділитися, виникають нові клітини, тканини, органи, системи органів. Але ці процеси здійснюються з різною інтенсивністю на різних стадіях розвитку особин (нерівномірність онтогенезу). Тривалість індивідуального розвитку людини є різною. Одні живуть більше, інші — менше. У людини це залежить від спадковості, способу життя, впливу чинників навколишнього середовища, медичних послуг, знань та умінь їх застосовувати для збереження здоров’я. Основними подіями онтогенезу людини є диференціація клітин, формування плоду, народження, ріст органів, статеве дозрівання, старіння та ін. Відбуваються вони в певний час розвитку, тому виділяють ембріональний та постембріональний періоди (періодичність онтогенезу). Яке біологічне значення запліднення? ЗАПЛІДНЕННЯ — злиття чоловічої
Зустріч гамет і активація
яйцеклітини є стадією переходу
яйцеклітини до активного розвитку. Запліднення відбувається лише за певної концентрації чоловічих гамет, що пояснюється необхідністю певної кількості ферменту (гіалуронідази), що
розщеплює фолікулярну оболонку яйцеклітини. Гамети зустрічаються в маткових трубах уже за кілька годин після статевого акту.
Проникнення сперматозоона в яйцеклітину. У місці
контакту ферментів акросоми з
покривами яйцеклітини утворюється сприймальний горбик, що захоплює голівку і втягує її
всередину. Лише один із майже 300 млн сперматозоонів може
запліднити яйцеклітину. Після цього формується оболонка
запліднення, що перешкоджає
проникненню інших гамет. Злиття гаплоїдних ядер
обох клітин супроводжується
відновленням диплоїдного набору
хромосом. На цій стадії відбувається генетичне визначення статі.
Гамети містять гаплоїдний (оди-
нарний) набір хромосом: статеві
клітини жінки мають 22А+X, а
гамети чоловіків містять 22А+X
або 22А+Y (де А — нестатеві
Іл. 96. Запліднення в людини: 1 — зрілий
Іл. 97. Генетичне визначення статі в людини
хромосоми, X, Y — статеві хромосоми). Таким чином, чоловіки за статевими хромосомами дають два типи гамет, а жінки — один тип. Якщо під час запліднення до яйцеклітини з 22А+X хромосомами потрапляє сперматозоон з 22А+X хромосомами,
262
Біологія + Латина Що означає
вираз «Ab ovo»?
Які основні етапи ембріонального розвитку людини?
Після запліднення й утворення зиготи в жіночому організмі настає вагітність. Це фізіологічний стан організму жінки, пов’язаний із заплідненням та внутрішньоутробним розвитком зародка й плоду. Період вагітності в разі нормального перебігу триває близько 280 днів (40 тижнів). В організмі майбутньої матері відбуваються значні гормональні зміни. Наприклад, активується секреція гормонів (прогестерон, пролактин та ін.), що стимулюють підготовку молочних залоз до вигодовування. Ембріональний розвиток під час вагітності поділяють на два періоди: зародковий і плодовий. Зародковий період — це період формування зародка, що триває від моменту імплантації до утворення плаценти. Після запліднення зигота, що активно ділиться, переміщується по матковій трубі до матки. Після кількох поділів формується скупчення клітин, яке називається морула (від лат. morula — ягода шовковиці). Приблизно через 6 днів після запліднення всередині клітинної маси формується порожнина. Тепер це одношаровий багатоклітинний зародок, який має назву бластоцисти. На 7-й день після запліднення бластоциста занурюється в слизову оболонку матки та прикріплюється до неї. Цей процес

називається імплантацією. Потрапивши в матку, зародок починає швидко розвиватися. Виникають зародкові листки, з них утворюються тканини та органи. На 16–18 день у зародка вже є серце, зачатки очей, головного мозку. Наприкінці другого місяця відбувається плацентація з утворенням плаценти (від лат. placenta — коржик), або дитячого місця. Плацента є особливим органом, який забезпечує
киснем,
У ньому розрізняють два етапи: зародковий та плодовий.
Діяльність
Навчальне завдання. У чому проявляється індивідуальність онтогенезу людини? Самостійне перетворення знань з використанням опорної схеми «Дерево». ОНТОГЕНЕЗ ЛЮДИНИ.
Розвивальне завдання. Чому діти схожі на
час не схожі на них? Інформаційно-пошукова
пліднення.
Ціннісне
починають
значення запліднення
• виявляє ставлення на рівні переконаності
ГЕНДЕРНОЇ
Саморозвиток
Самонавчання. Пізнавальне завдання. Правило-орієнтир «Як організувати опитування?»
Самооцінювання. Продуктивно-конструктивне завдання. Онтогенез тварин.
Оцінюємо! Тіло людини складається із сотень типів клітин, які походять із зиготи. Упродовж онтогенезу клітини, що є її нащадками, стають спеціалізованими для формування різних тканин і органів тіла. Як контролюються ці процеси розвитку? Відповідь на питання дали С. Бреннер, Р. Хорвіц і Д. Салстон, які
отримали Нобелівську премію з фізіології та медицини 2002 року за відкриття «генетичної регуляції розвитку органів». Чому це відкриття має велике біологічне та медичне значення?
ЗМІСТ
Як регулюється постембріональний розвиток? ПОСТЕМБРІОНАЛЬНИЙ РОЗВИТОК — це розвиток від народження до смерті організму. Цей період наповнений кількісними та якісними змінами, основою яких є клітинна диференціація (від лат. differentia — відмінність). Це утворення різних клітин із початково однорідних. Але як з однієї клітини формується велика кількість різноманітних за формою та функцією клітин багатоклітинного організму? Це одне з основних питань окремого розділу біологічної науки — біології розвитку. Генетичний матеріал клітин під час цього залишається незмінним. Уже відомо, що клітини стають різними завдяки тому, що активують різні гени свого генотипу. Таким чином, у клітинах відбувається складна сукупність процесів, що спричиняють збільшення або зменшення кількості специфічних генних продуктів (білка або РНК), які й визначають появу відмінних ознак. Клітинну диференціацію під час розвитку можна розуміти як результат генної регуляторної мережі — набору молекулярних регуляторів, які взаємодіють один з одним та з іншими речовинами в клітині.
Клітинна диференціація відбувається упродовж ембріонального та післяембріонального розвитку організму за участю спеціалізованих клітин, які називаються стовбуровими.
Іл. 99. Диференціація стовбурових клітин
Біологія + Англійська мова Перекладаю та отримую визначення: «Stem cells are undifferentiated or partially differentiated cells that can change into various types of cells».
продовженням розвитку
1–3 років, у віці 5–7 років і в підлітковому віці. У людини післярепродуктивний період відрізняється відносно більшою тривалістю, оскільки відбувається фізіологічний, фізичний і
Репродуктивний період — це
що характеризується
ризується зрівноваженістю процесів утворення та загибелі клітин і збереженням маси й розмірів
організмом здатності
людини зменшується вміст води, інтенсивність
життєві функції, спостерігається
розмірів. На цьому етапі відбувається старіння організму. Старіння людини — процес закономірного виникнення вікових
які поступово призводять до скорочення пристосувальних можливостей організму. Наука про закономірності старіння — геронтологія. Ознаки старіння проявляються на
рівнях організації живого організму. Так, у клітинах знижується активність ферментів, порушуються процеси самовідновлення білків, нуклеїнових кислот. Особливу роль у старінні відіграє втрата нейронів ЦНС.
Які вікові періоди постембріонального розвитку людини?
Вікові періоди — це періоди життя людини, що відрізняються особливостями росту й розвитку.
Період новонародженості (перші 10 днів). У немовляти спостерігається непропорційна будова тіла, кістки черепа й тазові кістки незрослі, у черепі є тім’ячко, хребет без вигинів. Починають функціонувати органи дихання, мале коло кровообігу, механізми терморегуляції, активізується імунна система, виявляються харчові рефлекси. Грудний вік (до 1 року). У дитини збільшується зріст — у середньому на 23–25 см, формуються вигини хребта, з’являються молочні зуби, формуються м’язи, утворюються харчові умовні рефлекси. Дитячий вік (від 1 до 10 років). Раннє дитинство період ясельного віку (1–3 роки). У дитини заростають тім’ячка,
здібностей.
Підлітковий період — період віку (з 10 до 19 років), коли відбувається бурхливий розвиток усіх систем, статеве дозрівання, розвиток абстрактного мислення, емоцій. Юнацький період — період віку (19–21 років). Завершується ріст, формування організму і статеве дозрівання. Зрілий вік настає у віці 21 рік. Перший період зрілого віку (21–35 років) є найпродуктивнішим періодом у житті людини. Другий період зрілого віку (від 35 до 60 років) є періодом реалізації людиною своїх можливостей. Похилий вік починається з 61 року в чоловіків і з 56 років у жінок. Старечий вік триває із 75 років. Люди з віком 100 і більше років — довгожителі. Біологія + Фразеологізми
Діяльність
Навчальне завдання. У чому проявляється індивідуальний характер розвитку людини після народження? Оцінювання знань з використанням схеми. ПОСТЕМБРІОГЕНЕЗ ЛЮДИНИ. Розвивальне завдання. За якими ознаками розрізняють вікові періоди людини? Інформаційно-пошукова вправа. Вікова періодизація за біологічними ознаками.
Ціннісне завдання. «Маскулінність — це те, що слід додати до анатомії чоловіка, щоб отримати чоловічу гендерну роль» (І. С. Кон). Вправа для вибірковості. Що таке маскулінність і фемінність?
Результат
Очікувані результати навчання (Учень / учениця...)
Досліджуємо! У 2010 році Нобелівський комітет відзначив наукові досягнення Р. Едвардса в лікуванні безпліддя — захворювання, від якого страждають близько 10 % сімейних пар у всьому світі. Науковець отримав Нобелівську премію за розроблення технології екстракорпорального запліднення (англ. IVF, in vitro fertilisation). А які ще людські проблеми можна розв’язати
завдяки науковим дослідженням розмноження та розвитку людини?
ЗМІСТ
Як несприятливі чинники впливають на репродуктивне
людини?
Репродуктивне здоров’я — це
репродуктивної системи,
життя. Іншими
ня дітей, можливість сексуальних відносин без загрози
що передаються статевим шляхом,
вагітності та пологів, виживання дитини, добробуту матері
них вагітностей.
На репродуктивне здоров’я людини впливає безліч чинників, але найпоширенішими причинами порушень є аборти, хвороби статевих органів та шкідливі звички.
Аборт викликає
шень
ності в новонародженого, розумову
Біологія + Здоров’я Вміст селену важливий для підтримки репродуктивного здоров’я чоловіків і жінок. Які продукти харчування містять селен?
Які сучасні можливості та перспективи репродуктивної медицини?
У репродуктивній медицині використовуються знання біологічних (генетики, кріобіології, цитології, молекулярної біології) та медичних (гінекології, репродуктології) наук.
За останні десятиліття в репродуктивній медицині з’явилися новітні методики, спрямовані на реалізацію репродуктивної функції подружніх пар, які не можуть зачати дитину природним шляхом: а) сурогатне материнство; б) заморожування ембріонів; в) банк донорської сперми; г) методика стимульованих циклів; д) пронуклеарне перенесення ядер (у донорську яйцеклітину, позбавлену ядра, переноситься ядро з іншої яйцеклітини). Ці та інші методики стали основою допоміжних репродуктивних технологій, що використовуються для лікування безпліддя, за якого деякі етапи відбуваються поза межами організму людини. Основною технологією сучасної репродуктивної медицини є екстракорпоральне запліднення (ЕКЗ, штучне запліднення in vitro, «запліднення в пробірці»). Це методика, згідно з якою яйцеклітини жінки запліднюються поза її організмом і через кілька діб вводяться у порожнину матки з метою створення вагітності.
Варто відзначити, що досягнення українських спеціалістів у галузі репродуктивної медицини не поступаються досягненням в інших країнах. Інститут репродуктивної медицини в Києві — це вже міжнародний медичний центр з лікування жіночого і чоловічого безпліддя.
Центр має власні відділення ембріології, репродуктології, кріобанк.
Які основні напрями сучасних досліджень репродукції та онтогенезу людини?
Біологія індивідуального розвитку (англ. Developmental Biology) як наука сформувалася в середині XX ст. на основі поєднання ембріології з цитологією, біохімією, фізіологією, молекулярною біологією і генетикою, імунологією, еволюційним вченням і екологією. Галузь охоплює вивчення не лише
преміями відзначені відкриття чинників росту (С. Коен та Р. Леві-Монтальчіні, 1986), генетичних механізмів, що контролюють ранній ембріональний розвиток (Е. Льюїс, К. Нюслайн-Фольхард та Е. Вішаус, 1995), генетичної регуляції розвитку людських органів і «запрограмованої» загибелі клітини (С. Бреннер, Р. Хорвіц, Д. Салстон, 2002), використання ембріональних стовбурових клітин у мишей для визначення генетичних змін (М. Капеккі , М. Еванс, О. Смітіс, 2007) та ін. Досягнення біології розвитку відкривають великі перспективи для репродуктивної медицини, трансплантології, генетичної інженерії, біотехнології та знаходять застосування в таких галузях діяльності людини як охорона здоров’я, освіта, сільське господарство, організація харчування тощо. Біологія + Латина У своїх дослідженнях науковці використовують ряд модельних організмів, серед яких Caenorhabditis elegans, Drosophila melanogaster, Xenopus laevis, Mus musculus, Rattus norvegicus та ін. Визначаю українські назви тварин.
Коротко про головне
Діяльність
Навчальне завдання. Які особливості розмноження та розвитку людини? Моделювання змісту теми. РЕПРОДУКЦІЯ ТА ОНТОГЕНЕЗ.
Розвивальне завдання. Які чинники є визначальними для розмноження та розвитку людини? Графічне моделювання. Вплив природних та соціальних чинників на розмноження та онтогенез людини.
Ціннісне завдання. Проєкт на одну із тем щодо визнання існування різних думок і поглядів на проблеми, дотримання принципів демократії під час їх вирішення. Результат
Очікувані результати
(Учень / учениця...) • узагальнює
270
Найзагальніші властивості організму людини
Обмін речовин. Адаптивність. Гомеостаз. Подразливість. Ріст. Розвиток
Структурна організація Функціональна організація
Молекулярний рівень
Клітинний рівень
Тканинний рівень
Рівеньорганів
Системний рівень
Організмовий рівень
Основні фізіологічні функції
Функціональні одиниці
Фізіологічні системи
Функціональні системи
людини Опора, рух, живлення, дихання, кровообіг, виділення, розмноження, рух, регуляція
типи регуляції
організму
Нервова регуляція. Гуморальна регуляція. Імунна регуляція
Клітини, тканини, органи, системи органів та внутрішнє середовище людини об’єднані в єдину біологічну систему, яка здатна до саморегуляції, самооновлення та самовідтворення.
Завдяки саморегуляції організм людини пристосовує свою будову, життєдіяльність і поведінку до мінливих умов
середовища, зберігаючи сталість внутрішнього середовища. Цілісність організму зумовлена взаємозв’язком усіх його частин, що забезпечується взаємодією регуляторних систем організму — нервової, ендокринної та імунної. Ще однією фундаментальною властивістю організму людини є самооновлення — здатність організму утворювати нові елементи замість старих на основі спадкової інформації ДНК. Особливу роль у самооновленні клітин, тканин, органів нашого організму відіграють стовбурові клітини та процеси регенерації. Однією з обов’язкових властивостей людини є самовідтворення та забезпечення умов для виживання потомства. В організмі людини постійно розмножуються клітини, а завдяки статевому розмноженню виникають організми, схожі з батьківськими формами. Так забезпечується спадковість між батьками і нащадками. Людина є біосоціальною істотою,
1. Інфомалюнок. Ціль сталого розвитку 3. Міцне здоров’я та добробут (Goal 3: Good health and well-being). Основні завдання.
2. Навчальний проєкт. Яка користь від сонячного світла для організму людини?
3. Навчальний проєкт. Висотна хвороба та її різновиди.
4. Схема організації експерименту. Визначення кольору очей за шкалою.
5. Дослідження. Визначення площі поверхні тіла за допомогою обчислювальних формул.
6. Дослідницький аналіз. Нобелівська премія з фізіології й медицини (1903) і фототерапія.
7. Дослідницький аналіз. Нобелівська премія з фізіології й медицини (2019) та гіпоксія.
8. Повідомлення. Основні
етики.
Креативні завдання. Інформаційно-пошуковий навчальний
1. Інфомалюнок. Ціль сталого розвитку 11.
громад (Goal 11: Sustainable cities and communities).
2. Пам’ятка. Як справлятися з негативними емоціями?
3. Інформативне повідомлення. Психічна саморегуляція
тура.
4. Аналіз статті. «Музика і настрій: 7 способів зосередитися, заспокоїтися та мотивувати себе».
5. Навчальний проєкт. Чому шкіра є зовнішнім біологічним бар’єром?
6. Нарис. Нобелівська премія з фізіології та медицини (1908), І. Мечников, П. Ерліх та імунітет.
7. Нарис. Нобелівська премія з фізіології та медицини (1919), Жуль Борде та антитіла.
8. Нарис. Нобелівська премія з фізіології та медицини (1932), Ч. С. Шеррінгтон, Е. Д. Едріан та нейрони.
1. Інфомалюнок.
2.
3.
4. Нарис. Для чого майбутні художники та скульптори вивчають пластичну анатомію?
5. Навчальний проєкт. Професійні захворювання скелетної системи програмувальників / програмувальниць.
6. Навчальний проєкт. Гіподинамія — ворог сучасної людини.
7. Есе. Золотий перетин і краса тіла людини.
8. Повідомлення. Юзабіліті та комп’ютерна техніка. Тема 4. ОБМІН РЕЧОВИН ТА ЕНЕРГІЇ. ХАРЧУВАННЯ
Креативні завдання. Дослідницький навчальний продукт
1. Інфомалюнок. Ціль сталого розвитку 2. Подолання голоду (Goal 2: Zero hunger). Основні завдання
2. Дослідницький аналіз. «Енеїда» та харчові уподобання наших предків.
3. Навчальний проєкт. Харчова безпека: яких правил треба дотримуватися?
4. Аналіз наукової статті. Дослідження ринку органічних продуктів харчування України (http://www.economy. nayka.com.ua/pdf/2_2016/15.pdf).
5. Схема організації дослідження. Традиційні продукти харчування в регіоні.
6. Дослідницьке повідомлення. «Синя книга», «Біла книга», «Зелена книга» і політика Європейського Союзу
продуктів.
7. Навчальний проєкт.
8. Дослідницький
Креативні завдання. Інформаційно-пошуковий навчальний продукт
1. Інформативне повідомлення. Права громадян щодо забезпечення санітарного та епідемічного благополуччя (Закон України «Про санітарне та епідеміологічне благополуччя населення», розділ ІІ, ст. 4).
2. Інфомалюнок. Ціль сталого розвитку 6. Чиста вода та належна санітарія (Goal 6: Clean water and sanitation). Основні завдання.
3. Навчальний проєкт. Пробіотики: що це та навіщо вони?
4. Інформативне дослідження. Нобелівська премія (1904), І. П. Павлов і травлення.
5. Інформативний опис. Гіркоти (amara) — це рослинні засоби для підвищення апетиту і поліпшення травлення. Які рослини є сировиною
6.
7. Біологічний
8. Інформативне повідомлення
(Streptococcus mutans і Streptococcus sanguis).
Тема 6. ДИХАННЯ Креативні завдання. Інтелектуально-розвивальний навчальний
1. Інфомалюнок. Ціль сталого розвитку 15. Захист екосистем суші (Goal 15: Life on land). Основні завдання.
2. Дослідження. Спорт та аеробні й анаеробні вправи.
3. Есе. Що таке хатха-йога?
4. Замальовка. Морське, гірське, лісове повітря — чим відрізняються?
5. Презентація. Нобелівська премія та пристосування до гіпоксії.
6. Навчальний проєкт. Як правильно дихати?
7. Словникова мандрівка. Аеротерапія, ароматерапія, спелеотерапія — нетрадиційні системи лікування.
8. Аналіз досліджень. Вплив коронавірусу COVID-19 на легені людини. Тема 7.
1. Інформативне повідомлення.
ток знань про серцево-судинну систему.
2. Навчальний проєкт. Гірська й кесонна хвороби
3. Дослідження. Нобелівська премія з фізіології та медицини (1920), А. Крог, вуглекислий газ та капіляри.
4. Есе. Серце в найвідоміших літературних творах.
5. Оцінювання. «І що цікаво — серце у
майже втричі більше, ніж шлунок. От якби так у людей». Оцініть це висловлювання Ліни Костенко.
6. Опис. Що таке сфігмоманометр?
7. Навчальний проєкт. Системи груп крові.
8. Навчальний проєкт. Чому кров тварин
Тема 8. ФУНКЦІОНУВАННЯ
1.
2. Навчальний проєкт. Які компоненти
3.
проблеми. Життя без солі: користь чи шкода?
4. Навчальний
5. Медичний лікнеп. Натуральні
2. Дослідницький аналіз. Нобелівські премії з фізіології та
в галузі імунології.
3. Обґрунтування. Чому не рекомендується видаляти гланди (піднебінні мигдалики)?
4. Есе. Чому Ліна Костенко називає алергію «алігатором міста»? (Вірш «Одкам’янійте, статуї античні...»).
5. Біологічний портрет. Коронавірус важкого гострого респіраторного синдрому (SARS-CoV) — механізм і шляхи передавання.
6. Навчальний проєкт. Як захиститись від коронавірусної інфекції?
7. Дискусія. Вакцинація: за і проти.
8. Нарис. Чи потрібно давати згоду на пробу Манту?
Тема 10. ЕНДОКРИННА РЕГУЛЯЦІЯ Креативні завдання. Інформаційно-пошуковий навчальний продукт
1. Інфомалюнок. Ціль сталого розвитку 16. Мир, справедливість та сильні інститути (Goal 16: Peace, justice and strong institutions). Основні завдання
2. Інформативне дослідження. Нобелівська премія з фізіології та медицини (1923), Ф. Бантинг, Д. Маклеод та інсулін.
3. Інформативне дослідження. Нобелівська премія з фізіології та медицини (1971), Е. Сазерленд та механізми дії гормонів
4. Нарис. Перша ін’єкція інсуліну.
5. Інформативне повідомлення. Реакція «fight-or-flight response» і гормони.
6. Навчальний проєкт. Синдром хронічної втоми і стрес.
7. Психологічне дослідження. В англійській мові є термін «hangry», що означає «злий через голод». Чому відчуття голоду спричиняє агресію?
8. Біологічний портрет. Ганс Сельє та стрес.
Креативні завдання. Дослідницький навчальний продукт
1. Інфомалюнок. Ціль сталого розвитку 4. Якісна освіта (Goal 4: Quality education). Основні завдання.
2. Дослідницький аналіз. Нобелівська премія з фізіології (1949), В. Гесс та проміжний мозок.
3. Дослідницький аналіз. Нобелівська премія з фізіології та медицини (1981), Р. Сперрі та функціональна спеціалізація півкуль головного мозку.
4. Дослідницький аналіз. Нобелівська премія з фізіології та медицини (2000) та нейромедіатори.
5. Дослідження. Вивчення сили нервових процесів
(за Е. П. Ільїним)).
6. Дослідження. Діагностика рухливості
7. Навчальний
8. Презентація. Кураре й нервова система.
1. Повідомлення. Нобелівська премія з фізіології та медицини (1914), Р. Барані й вестибулярний апарат.
2. Повідомлення. Нобелівська премія з фізіології та медицини (1961), Г. фон Бекеші й завитка.
3. Аналіз проблеми. Негативний вплив мобільних телефонів на головний мозок людини
4. Пам’ятка. Як зберегти зір, працюючи за комп’ютером?
5. Переклад. Global System for Mobile Communications (GSM).
6. Інформативне дослідження. Вікові особливості сенсорних систем
7. Презентація. Зорові ілюзії
8. Навчальний проєкт. Інформаційно-сенсорні системи
житті людини.
1. Есе
2. Нарис. «Криши, ламай, трощи стереотипи!
ються — ламай!» (Ліна Костенко). Що таке стереотипи?
3. Навчальний проєкт. Спілкування в соцмережах
4. Інформативне пояснення. Чому
називає пам’ять праматір’ю муз і дарунком Прометея?
5. Навчальний проєкт. Основні правила розвитку пам’яті.
6. Казка. Чому ссавці позіхають?
7. Інформативне пояснення.
8. Дослідження. Нобелівська премія з фізіології та медицини (2014) і просторові
1. Інфомалюнок. Ціль сталого розвитку 5. Гендерна рівність (Goal 5: Gender equality). Основні завдання.
2. Інформативний
3. Навчальний проєкт. Збереження репродуктивного
дини.
4. Опитування. Підліткова література.
5. Навчальний проєкт. Що таке акселерація?
6.
8. Дослідження.
Тема
§ 1.1.
§ 1.2.
§
§
Тема
§
§ 6.2. Дихальна
§ 6.3.
§
§ 6.5. Внутрішнє дихання......................................................
§ 6.6. Дихання та наукові
Тема
§ 7.1.
§
§
Підручник
видання СОБОЛЬ Валерій Іванович
БІОЛОГІЯ
Видано за рахунок державних коштів. Продаж заборонено
Підручник відповідає Державним санітарним нормам і правилам «Гігієнічні вимоги до друкованої продукції для дітей»
Для оформлення підручника використано матеріали, що знаходяться у вільному доступі в мережі «Інтернет» Формат 70х100 1/16. Ум. друк. арк. 22,75. Обл.-вид. арк. 22,10. Наклад 47 143 пр. Зам. № 022
ТОВ «Видавництво АБЕТКА».
і розповсюджувачів видавничої продукції від 09.02.2018 р.
ДК №6002 32300, Хмельницька обл., м. Кам’янець-Подільський, вул. Князів Коріатовичів, 9а Тел.: 0984253404, 0501931724; e-mail: abetka2017@ukr.net, http://abetka.in.ua Надруковано у ПП «Юнісофт». 61036, м. Харків, вул. Морозова, 13 б, www.unisoft.ua. Свідоцтво ДК №3461 від 14.04.2009 р. Зам. № 054/05