

The mouth is home to millions of bacteria that constantly produce dental plaque.
Sugaryandstickyfoodscanstimulatetheactivity ofthesemicroorganisms. Sometimes,whenaccumulatedplaqueisnot effectivelyremoved,toothlosscanoccur.
https://sweettoothweston.com/
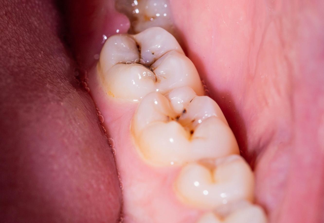
Bacteriaontheteethcanproducesubstancesthat leadtothedecompositionofmineralsintheteeth.
This action causes cavities that expose sensitive nerve endings.
Whenthesenerveendingsareexposed,toothache setsin.
https://sweettoothweston.com/
Systemicdiseasesaffectmultipleorgansinthe bodyratherthanjustone.
Bacteriafrominfectedgumscantravelthrough thebloodstreamandcausedeadlydiseases suchasdiabetes,heartdisease,rheumatoid arthritis,cancers,andgumdisease,among others.
https://sweettoothweston.com/
Halitosisisamedicalconditionwhose primarysymptomisbadbreath.
Themostfrequentcauseofthisispoororal hygiene.
Whentheteetharenotbrushedandflossed regularly,bacteriainthemouthbreakdownfood particles.Sulfurcompoundsareproduced,which resultsinbadbreath.
https://sweettoothweston.com/
Thebuildupofplaqueonthesurfaceof theteethovertimecanbreakdowntooth enamelandcausetoothdiscoloration. Thisconditioncandamageone'sselfesteem. https://sweettoothweston.com/
Dr. Erin Arroyo is a Board Certified Pediatric Dentist. She wants to make each dental visit a successful and fun experience for your child. She understands that children are inquisitive, enthusiastic, and constantly learning, which makes being a Pediatric Dentist so heartwarming. She is passionate about building a trusting relationship with her patients and parents. Her approach with each child is unique, and she has the ability to adapt for your child’s individual success. Her practice philosophy has always been to treat your children as if they were her children.
Your children deserve the best dental care, and at Sweet Tooth Pediatric Dentistry, we specialize in caring for your children. We want to make each dental visit a positive and fun experience. What makes us different? We treat you like family. We wouldnt want to be treated any other way, and we believe in this golden rule. From the first phone call to the visit your child graduates to a general dentist, we treat you with respect and love. We want your children to have healthy smiles forever.
https://sweettoothweston.com/