Journal of the Irish Dental Association - June/July 2024

Page 1

Journal of the Irish Dental Association

among older patients

Iris Cumainn Déadach na hÉireann
JIDA
Maximising attendance Volume
June/July 2024
70 Number 3

HONORARY EDITOR Dr Cristiane da Mata BDS MFD (RCSI) Dip TLHE MPH Phd FFD RCSI

journaleditor@irishdentalassoc.ie

DEPUTY EDITOR Dr David McReynolds BA BDentSC MFDS RCSEd DChDent (Pros) FFD RCSI

EDITORIAL BOARD

Dr Meriem Abbas BDS (NUI) MFDS RCSEd

Dr Geraldine McDermott BA BDentSc MFDS (RCSI)

PGradDip ConSed (TCD) MSc Healthcare Leadership (RCSI)

Dr Clair Nolan BDS (NUI) MSc (Endo) U. Lond

Dr Adedeji Daniel Obikoya BChD MFDS (RCSI) MSc

Dr Judith Phelan BDS (NUI) MDS (NUI) MSc (U Lond) MRD (RCS Eng and Glas)

Dr Patrick Quinn BCL BDS LLM MDPH

Dr Catherine Vaughan BDS (NUI)

IDA PRESIDENT Dr Rory Boyd

IDA CHIEF EXECUTIVE Fintan Hourihan

CO-ORDINATOR Liz Dodd

The Journal of the Irish Dental Association is the official publication of the Irish Dental Association. The opinions expressed in the Journal are, however, those of the authors and cannot be construed as reflecting the Association’s views. The editor reserves the right to edit all copy submitted to the Journal. Publication of an advertisement or news item does not necessarily imply that the IDA agrees with or supports the claims therein. For advice to authors, please see: https://jida.scholasticahq.com/for-authors

Published on behalf of the IDA by Think Media, 537 NCR, Dublin 1 T: +353 1 856 1166 www.thinkmedia.ie

MANAGING EDITOR Ann-Marie Hardiman ann-marie@thinkmedia.ie

EDITORIAL Colm Quinn colm@thinkmedia.ie

ADVERTISING Paul O’Grady paul@thinkmedia.ie

DESIGN/LAYOUT Rebecca Bohan, Tony Byrne

Audit issue January-December 2023: 3,867 circulation average per issue. Registered dentists in the Republic of Ireland and Northern Ireland.

Dentistry in the spotlight

ADVOCACY AND CAMPAIGNS UPDATE The busiest of weeks

Colgate Awards 2024 Costello Medal winners

BUSINESS NEWS All the latest news from the trade

ANNUAL CONFERENCE Connecting in Kerry

In association with associates

139 PEER-REVIEWED

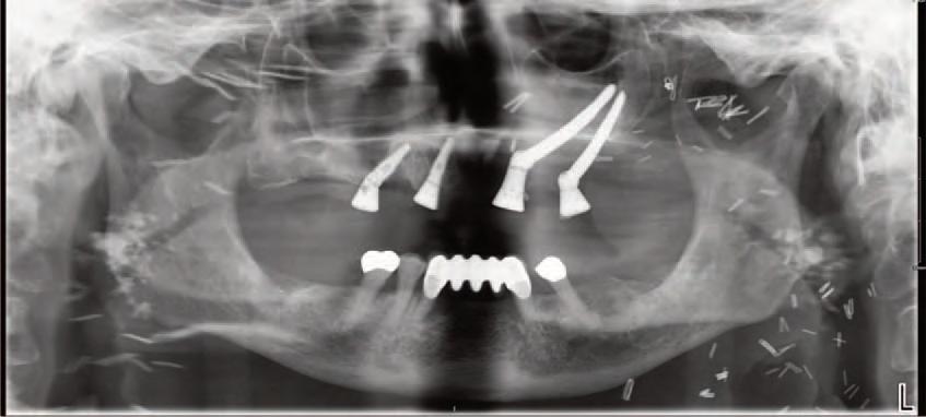
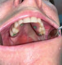
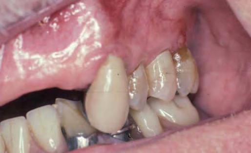
The zygomatic implant perforated (ZIP) flap for rehabilitation of patients with midfacial oncology defects: a report of three cases B. Martin, E. Cotter, C. Bowe, J.E. O’Connell

145 CLINICAL FEATURE

How to maximise dental attendance among older patients

NEW DENTAL SCIENCE

PRACTICE MANAGEMENT Corridor consults

Irish Dental Association Unit 2 Leopardstown Office Park, Sandyford, Dublin 18. Tel: +353 1 295 0072 Fax: +353 1 295 0092 www.dentist.ie Follow us on Facebook (Irish Dental Association) and X (formerly Twitter) (@IrishDentists).

113
115 ASSOCIATION
117
118
EDITORIAL
NEWS
NEWS
124
126
130 FEATURE
137 CLINICAL
IDA
TIPS
138 QUIZ
Prescribing antimicrobials effectively in dentistry
149
151
152
158
PROFILE Quality service 111 Journal of the Irish Dental Association | June/July 2024: Vol 70 (3) CONTENTS
CLASSIFIEDS
COMMITTEE
Th!nk Media 126 118 130 139 MEMBERS’ NEWS 4 Busy year ahead for GP Committee 4 IDA at the Oireachtas MEMBERS ONLY 133

Dentistry in the spotlight

Welcome media coverage at the IDA’s Annual Conference served to highlight pressing issues in dentistry.

It was very inspiring to see the high-level dentistry presented by the various speakers during the IDA Annual Conference in Killarney. The Conference brought different generations of dentists together, providing us with an opportunity for learning or re-learning, and also socialising with colleagues. It has also put dentistry in the spotlight once more, through the media coverage it received. The front page of the Irish Independent brought to light the shocking news (not new to us) about the lack of dental care for children in Ireland. Children are not being seen in second, fourth and sixth class through the HSE school screening dental service, and some kids are not seen until it might be too late to prevent disease, or save the tooth.

Dental caries disproportionally affects disadvantaged children worldwide, and Ireland is no different. My daughter received a letter for her first dental visit last week: she is nearly 13 years of age. Thankfully she is being well looked after, but what about the thousands of children who may not have the same luck to be protected by good oral hygiene habits, diet and parents’ knowledge? Many of these end up on a general anaesthesia (GA) list to have extractions, meaning pain, reduced quality of life for the child and the parents, lost school days, and lost working days, to name a few of the losses involved.

The shortage of dentists is a major factor in the backlog of children awaiting their first appointment, which is not a problem with a short-term solution, unfortunately. We need to start thinking of alternatives in the meantime, using the little resources we have.

From a Government perspective, it does not sound like rocket science to me: treating a child under GA costs on average ¤819, which is thought to be as much as eight times higher than the cost of a preventive programme for the same group of patients. A recent toothbrushing pilot programme within the HSE calculated an average cost of ¤14 per child.1 Other countries have done it and proved that it works. Scotland saw a 56% reduction in caries in children’s first permanent molars after two years of implementing a caries preventive programme, and consistent caries reductions were evident four and a half years after the programme ended.

Following the Conference, the IDA and Dental Council attended a two-hour meeting with the Oireachtas Joint Committee on Health, once again raising the challenges that dentists and patients face. Whether any concrete change will happen is yet to be seen…

Antibiotics…where are we now?

There is no doubt that antibiotics have changed modern medicine and extended our lifespan dramatically. Alexander Fleming’s incidental discovery

in 1928 was followed by the rapid discovery of multiple classes of antibiotics, in a period known as the golden age of antibiotics (1940-1960). This has led to an overuse of these drugs, and an alarming rise in antimicrobial resistance. According to the American Centres for Disease Control and Prevention (CDC): “antimicrobial resistance is an urgent global public health threat, killing at least 1.27 million people worldwide”. Recently, the WHO named antimicrobial resistance among the top 10 global public health threats facing humanity. I have always wondered why new antibiotics are not being created. It appears that no new class of antibiotics has been created since the 1980s. What I didn’t know (or maybe had never stopped to think about) is that creating new antibiotics is a low-profit business. There are many challenges in the process of creating a new drug and bringing it to market, but in the case of antibiotics, other barriers also exist. The historically low prices and the likelihood that a new antibiotic with a unique mode of action will be restricted to a limited number of uses are among the reasons why the economics of antibiotics creation is a major disincentive.

Therefore, all that is left for us to do is to prescribe or use antibiotics wisely. Patients, as well as healthcare professionals, need to be educated about the appropriate antibiotic indications and use.

Indications for the use of systemic antibiotics in dentistry are limited, since most dental/oral infections can be treated by addressing local factors. Nevertheless, antibiotics account for the vast majority of medicines prescribed by dentists. Such prescribing habits have been recognised as being often either inappropriate or unnecessary. The HSE has recently updated its guidelines on safe antibiotic prescribing for dentists and this edition brings a an informative piece by pharmacists Callum Ryan and Roisin Foran on the most up-to-date guidance on antibiotic stewardship for dental infections, which I commend you all to read.

This edition also includes a peer-reviewed case report on zygomatic implant perforated flaps for patients with midfacial oncology defects by Dr Brian Martin et al., and in our clinical feature, Drs Marchini and Ettinger look at the very pertinent issue of maximising dental attendance in our older population.

Reference

1. McAuliffe Ú, Kinirons M, Woods N, Harding M. 2017. A retrospective investigation of the oral health records of a cohort of preschool children who received extractions under general anaesthesia including cost analysis of treatment. J Ir Dent Assoc. 2017;63(1):38-44.

113 Journal of the Irish Dental Association | June/July 2024: Vol 70 (3) EDITORIAL

PRESIDENT’S NEWS

Dr

Challenges ahead, but many positives

Meeting the needs of a diverse membership is a key aim for the IDA over the coming year.

In my first President’s news for the Journal, I’d like to begin by congratulating my predecessor, Dr Eamon Croke, on a superb term as President. I look forward very much to working with him, and with the Council and the IDA Executive, to continue the great work and further the aims of the Association over the coming year.

I would like to take this opportunity to set out the key issues that I hope to prioritise as IDA President over the next 12 months.

Building on our strengths

I joined the Irish Dental Association in order to participate in events in the then Metro Branch. Lobbying Government and advocating on behalf of dentists in Ireland was far from my mind at that point. However, through the years of involvement at grassroots level, including as Metro Branch Chair, I have come to value IDA membership even more, and to see the importance of the work that is done at every level.

The IDA branches remain particularly close to my heart. The Branch structure has been the backbone of the Association since its inception and, in turn, we must support and elevate the Branches’ activities and our engagement with our members. For this reason, I hope this year to work with the regional committees and with members around the country to revive, support and reinforce our branches.

The nature of dentistry in Ireland is changing and IDA membership is becoming ever more diverse. We have a growing cohort of younger dentists, and a growing cohort of dentists who are choosing not to be practice owners. In order to best serve our membership, and to encourage more dentists to consider joining the Association, it’s vital that we acknowledge this changing landscape, and work to identify and meet the needs of all of these groups, so that our services truly reflect the nature of our membership. The future of dentistry, and of the IDA, lies in our younger members. The IDA is working hard to develop new services and benefits, in particular for associate dentists, and you can read more about these plans in the feature in this edition.

Beyond the Association

Dentistry in Ireland undoubtedly faces considerable challenges. The IDA has been to the forefront in advocating on these issues, and this will continue in the year ahead.

Our position paper on sustainable oral healthcare laid down the foundation from which we must continue to work with the Departments, HSE and other groups to shape the delivery of oral healthcare in Ireland.

I hope this year to work with the regional committees and with members around the country to revive, support and reinforce our branches.

The provision of care within the public service is one of the biggest challenges we face. It is clear that the current model is broken; however, we must strive and advocate for the rebuilding of our public sector to ensure care for those that need it most – our children, and vulnerable and disadvantaged patients. We must also continue to raise the issue of the dental workforce, and work to increase the number of graduating students from our dental schools. To do this, we must ensure that our dental schools are supported appropriately by Government. Although it is apparent that we may not receive a new Dental Act in the near future, it is clear that there is a healthy appetite to make various amendments to the existing Act. The recognition of specialties and the provision of compulsory CPD are only two areas where change is badly needed, and the IDA’s work in this regard will also continue.

Focus on the positive

In the midst of these challenges, however, it’s worth taking a moment to take stock of the many positives. Dentistry has never been so technologically advanced. Dental education has never been of higher quality. There has never been more published dental research than there is today, and with that evidence base, patients have never received a higher standard of care. Those patients in turn have never been more knowledgeable, meaning that Ireland’s dental health has never been better. You are part of a profession that has never been more advanced. The year ahead will certainly provide many challenges to our profession and to our Association. However, these challenges will also provide opportunities and we must ensure that we are best positioned to make the most of these.

To be so positioned, the Association must continue to grow in number to provide the best representation and support for our wonderful profession. In my speech at this year’s Annual Dinner in the beautiful Great Southern Hotel in Killarney, I asked those present to follow the example of Dr Gerry Cleary, who suggested to me many years ago that I might think about joining an IDA committee. I would like to repeat that request now, and ask that you too encourage a young dentist to get involved in our fantastic Association.

115 Journal of the Irish Dental Association | June/July 2024: Vol 70 (3)

ADVOCACY AND CAMPAIGNS UPDATE

The busiest of weeks

There are many lessons to be learned from the response to the IDA Annual Conference and the Association’s appearance at the Oireachtas Joint Health Committee.

The week stretching from Wednesday, April 24, embraced a hugely successful and energetic IDA Annual Conference and an appearance before the Oireachtas Joint Health Committee lasting well over two hours. That week represented possibly the greatest ever blizzard of media and political chat about dentistry, thanks to the efforts of the Association. So, what did we learn from the busiest of busy weeks?

The public values oral health

The public truly values oral health. Front page newspaper reports and live RTÉ coverage from our Conference, as well as an endless round of radio and newspaper interviews, show that those who are paid to measure public interest recognise that oral health matters. It was hardly a coincidence that a short-notice invitation to appear before the Oireachtas Joint Health Committee landed in the same week. I have regularly been told that the media is not interested and asked why can’t we get more attention paid to our concerns? It takes hard work to secure the coverage but it can be done.

Patient stories are key

Compelling data is vital, and what makes the connection is a real human story behind the message. That is why the media wants us to provide real case studies and why we work hard to meet their needs. We owe a great debt to every patient or parent who agrees to share their story.

What a strong team of advocates IDA has built!

Putting forward an empathetic dentist is vital to so many of our successful media campaigns. The profession is blessed to have many great advocates for oral health. We had half a dozen dentists step forward in recent times and they all did a great service to the profession. They deserve your support and thanks. If you want to join the team, contact us and we will provide you with training.

Politicians respond to media

Politicians respond to the media; sometimes, it seems they only respond to the media. The media activity prior to our Oireachtas Committee hearing meant politicians were engaged, informed, and persuaded to investigate the calls we were making to improve access, increase capacity in terms of dental staff, and legislate to protect patients.

Combining our efforts with the Dental Council is powerful

Being asked to appear before the Health Committee alongside the Dental Council was a first. Understandably, the Dental Council focussed its submission on the need to update the existing dental legislation, a case we also made, but in the crossexamination members of the Council delegation were also asked to comment beyond

their traditional boundaries. In all instances, we spoke ad idem and this was important. We need to build a strong coalition on its own merits but also to dispel the efforts of some to characterise the Association as being unrepresentative or unrealistic.

Opposition will challenge as well as support us

A feature of the Oireachtas hearing was the challenge from Sinn Féin’s David Cullinane TD on what the Association was doing to deal with the crisis in providing care to medical card patients. While a minority might ask why we bother, the truth is we cannot afford to ignore the fact that large numbers in our community cannot see the dentist.

Data and evidence is essential

We know that the Department and HSE collect very little in the way of meaningful data relating to dentistry. Piecing together information provided in a parliamentary question with published information on the numbers of children in our primary schools meant that we could provide shocking data on the numbers of children denied a screening by the HSE public dental service. Without the Association’s work, those figures would never have seen the light of day or made front page headlines.

Private dentists are strongest supporters of public dentists

Having represented doctors and dentists for over 25 years, I know how intimidating the HSE can appear to be towards those who comment publicly on shortcomings in the care provided to children and vulnerable adults. As Association members they are entitled to comment but it is not easy. The strong support for HSE dentists and the public dental service from so many private dentists is greatly appreciated.

Shock at lack of CPD rules was palpable

The shock in the reaction of Deputy Neasa Hourigan to the lack of mandatory CPD and competence assurance for dentistry was palpable. Let us hope that this is reflected in support for badly needed legislative reform.

This is an ongoing campaign

The decision of Deputy Roisin Shortall and the Social Democrats to move a strongly worded private members’ motion on dentistry is very welcome. The fight continues and we are determined to continue that fight.

We need your support too. If you care about dentistry, join us today and let us ensure that your patients receive the care they deserve and that dentistry is the profession we all strive to see grow and flourish. Dentists in Ireland deserve a rewarding and fulfilling career – if you agree, then get involved with the IDA today.

117 Journal of the Irish Dental Association | June/July 2024: Vol 70 (3)

HSE Dental Surgeons Seminar returns to

Athlone in October

The Radisson Hotel Athlone is the location for our two-day Annual HSE Dental Surgeons Seminar. The event will take place on the banks of the Shannon on Thursday and Friday, October 10 and 11. All those employed in the HSE dental service are welcome to attend – including dental team members. A full trade show will take place on October 10. Full programme to follow.

Annual Conference 2025 –date for your diary

The Annual Conference 2025 will take place from May 15-17 at Lyrath Estate Kilkenny. Put the dates in your diary now!

BDA honours IDA CEO

The Principal Executive Committee of the British Dental Association (BDA) recently honoured IDA CEO Fintan Hourihan with inclusion on the Association’s Roll of Distinction.

Entry to the Roll of Distinction honours members of the dental profession and of scientific eminence, or persons distinguished in medical or allied services, who have given outstanding services to the dental profession or the Association. The award is in recognition of the strong and supportive relationship Fintan has developed with the Northern Ireland BDA and the BDA in general, particularly during the Covid-19 pandemic. Congratulations to Fintan on this exceptional honour.

118 Journal of the Irish Dental Association | June/July 2024: Vol 70 (3) NEWS
IDA CEO Fintan Hourihan and BDA President Dr Richard Graham on the occasion of Fintan’s inclusion on the BDA Roll of Honour.

Caring Dentist Awards return in November

The Colgate Caring Dental Awards return to the fabulous InterContinental Hotel Ballsbridge, Dublin, on Saturday, November 23. Nominations are now open for the Dentist and Dental Team Awards 2024. Why not encourage your patients to nominate you or your dental team or colleague for an award? Only nominations received from patients are eligible for an award. Go to www.colgatecaringawards.ie to nominate.

Costello Medal 2024

Congratulations to the team from Dublin Dental University School & Hospital, who are this year’s winners of the Costello Medal. Fourth-year dental students Daniel Presta and Brona Pereppadan ably represented their school with a presentation entitled ‘Social and Environmental Life Cycle Assessments Within Healthcare: A Scoping Review of Application and Evidence’.

RCSI to offer Bachelor of Dental Surgery degree

RCSI University of Medicine and Health Sciences has received regulatory support from the Dental Council to launch a new Bachelor of Dental Surgery degree in Ireland. The programme will commence in September 2025 with student recruitment beginning in the coming weeks.

The Bachelor of Dental Surgery at RCSI will be the first community-based dentistry degree programme in Ireland.

The programme’s curriculum, which has been developed in partnership with the award-winning Peninsula Dental School at the University of Plymouth, will equip graduates to deliver excellence in dental care for patients in a primary care setting.

Mr Paul Lyons, Head of Education, Dental Council, said: “RCSI is to be congratulated on the work that has been completed to date on this emerging programme. The Dental Council looks forward to continuing to engage with RCSI for the duration of the programme’s further development and roll-out”.

Prof. Albert Leung, Head of the School of Dentistry, RCSI, said: “We welcome the Dental Council’s support for this landmark new degree programme, and we look forward to continuing to engage closely with the Council as the programme is rolled out. We have a chronic shortage of dentists, a situation that negatively impacts both oral and general health. RCSI’s new Bachelor of Dental Surgery programme responds to the need to increase access to dental care and builds on our rich heritage in dental education and track record of innovating in response to meet evolving healthcare needs”.

120 Journal of the Irish Dental Association | June/July 2024: Vol 70 (3) NEWS
MedAccount offer a full range of specialist dental accounting support and advisory services for Associates, Principals, Expense Sharing Partners and Hygienists. MedAccount Services
Costello Medal winners for 2024 Brona Pereppadan and Daniel Presta with their winning poster.
S20, The Pottery, Pottery Road, Dun Laoghaire, Co. Dublin. Tel: 01 280 6414
2024
specialist dental accountants we’re here
control
practice costs QUARTERLY ACCOUNTS PAYROLL SERVICES TAX CONSULTANCY COST OF TREATMENT FIRST CONSULTATION FREE First consultation FREE OF CHARGE with no obligation to engage
Email: info@medaccount.ie Will you still be smiling at the end of the year? Make sure your practice is profitable in
As Ireland’s only
to help you
your

Courses for Cork

Bioclear hands-on course

Dr Claire Burgess, in association with Optident and 3M, will bring her full-day hands-on Bioclear course to the Maryborough House Hotel, Cork, on Friday, October 18, or Saturday, October 19 next. Places are limited so early booking is advisable. To book, go to www.dentist.ie and click on CPD.

IDA members: ¤600; non-members: ¤1,200

Two-day hands-on toothwear

Dr Andrew Chandrapal, in association with Kulzer, will bring his two-day toothwear course to Cork on Friday and Saturday, September 27-28. Andrew gave a two-day anterior composite course for us in 2023 and it was very well received, and we are delighted to welcome him back to give this unique course on toothwear.

Places are limited, so book early to avoid disappointment.

Hands-on endodontic course in Limerick

A full-day hands-on course in endodontics will be given by specialist Dr Eoin Mullane on Friday, September 20, in Limerick. This course proved very popular in 2023 when we last ran it. Thank you to Eoin for providing the course and to NSK and Coltene for supporting this programme.

122 Journal of the Irish Dental Association | June/July 2024: Vol 70 (3) NEWS

Strong focus on dentistry in Dáil debate but what next?

On May 22, dentistry featured in Dáil Éireann in a private members’ motion from the Social Democrats, which included contributions from over 20 TDs from all political parties and groupings. The IDA is grateful to Deputy Roisin Shortall and the Social Democrats for proposing the motion, and to the many other deputies who contributed to the debate. The Dáil debate followed the May 1 appearance by the Association before the Oireachtas Health Committee.

What is striking is that all the politicians are equally aware of the scale of the many problems being experienced by children and adults unable to access dental care, the risk to patient safety, and their strong sense that Government has the means but so far not the will to solve these problems. The response from Minister of State, Deputy Colm Burke, did little to assure the Dáil that there was an acceptance of the reality and scale of the problems in Irish dentistry. Nor did it suggest that there was a sense of urgency or indeed a clear plan to address the staffing crisis in the public dental service, to begin talks with the IDA on a scheme to replace the DTSS or to legislate to address the urgent shortcomings in the dental legislation to protect patients from illegal dentistry and to ensure competence assurance by all dentists.

Regrettably, the Minister for Health, Stephen Donnelly TD, was not present at the debate. His absence was not explained, which angered many of the TDs and indeed the Ceann Comhairle. The motion was not opposed by the Government after two hours of debate, which will be seen before long as either a very cynical gesture or the prelude to a transformation in its interest in oral health.

A transcript of the debate is available at Dáil Éireann debate - Wednesday, 22 May 2024 (oireachtas.ie)

Dental/Ortho Update discount for IDA members

IDA members can now avail of a 33% discount on their Dental Update (or Ortho Update) subscription. The discount is applicable to both the online and hard copy subscription. IDA members must show their current IDA membership card to avail of the discount.

123 Journal of the Irish Dental Association | June/July 2024: Vol 70 (3) NEWS

Omnichroma an award winner

Omnichroma composites from Tokuyama Dental have yet again received top awards from trade magazine Dental Advisor . According to the company, receiving these prestigious awards in 2024 confirms the company’s unique product quality.

In 2019, Tokuyama Dental introduced Omnichroma, which it states is a groundbreaking filling material that can cover all VITA shades from A1 to D4 in just a single syringe.

Application options were expanded with the development of the flowable variants Omnichroma Flow and Omnichroma Flow Bulk.

For the fifth time in succession (2020-2024), Omnichroma composites impressed the independent experts at Dental Advisor in the categories ‘Packable single-colour composite’ and ‘Flowable single-colour composite’. Particular praise was again given for excellent colour matching, ease of application as well as the aesthetic result.

Towards the future with Ivoclar

Ivoclar Group has announced a partnership with the US technology company SprintRay. Liechtenstein-based Ivoclar Group states that it is now setting new standards in the field of 3D printing with this co-operation.

SprintRay develops end-to-end 3D printing solutions for dental practices and laboratories. During SprintRay’s 3DNext event in Miami, USA, Ivoclar’s CEO Markus Heinz and SprintRay’s CEO Dr Amir Mansouri shared their joint vision with the dental sector.

With this partnership, Ivoclar states that the synergies and expertise of both companies will be aligned to allow customers to combine state-of-the-art solutions for 3D printing with high-quality materials.

Ivoclar states that it is one of the world’s leading material manufacturers in the dental industry and has been providing solutions for high-quality fixed and removable prosthetics for more than a century.

Markus Heinz, CEO of Ivoclar Group, said: “We are very pleased to partner with SprintRay – an equal partner with whom we want to set new standards together. The philosophies of our companies complement each other perfectly, and we are striving to provide our customers with the best possible support in their daily work”.

Henry Schein extends EdgeEndo portfolio

Henry Schein Ireland has launched Edge Utopia, the new endodontic NiTi file line by EdgeEndo, one of the world’s largest NiTi rotary file suppliers. Henry Schein states that Edge Utopia products are designed to deliver value to endodontists and general dentists, meet highquality standards, and do not require investment in new equipment, or a change in clinical protocols and techniques. The new Edge Utopia portfolio is composed of three products: Edge-One R Utopia; EdgeTaper Blaze Utopia; and, EdgeX7 Utopia. These new Edge Utopia file systems all feature the EdgeEndo FireWire Blaze heat treatment, EdgeEndo’s proprietary process combining a thermal treatment and a cryogenic application, which the company states creates high flexibility and resistance to cyclic fatigue.

Paolo Zanetti, Vice President and General Manager, Endodontics, at Henry Schein said: “At Henry Schein, we are committed to offering our customers innovative solutions that help improve treatment outcomes and ultimately provide high-quality patient care. Millions of EdgeEndo files delivered to our customers have proven our success. We are confident that the Edge Utopia file systems will continue to shape the future of endodontics through quality, ease of use, and efficiency”.

124 Journal of the Irish Dental Association | June/July 2024: Vol 70 (3) BUSINESS NEWS

MY FAVOURITE PIECE OF EQUIPMENT

Christine Smith is the owner of specialist orthodontist clinic Navan Orthodontics, and her favourite piece of dental equipment is the DentalMonitoring app. This allows her patients to upload scans of their teeth each week using their phones. The advantages of this for orthodontic treatment are huge. Christine explains how it works: “They take images of the teeth every week. Those get sent to us automatically, so we can virtually see them every week”.

The AI behind the app can be set up to monitor certain things. It can then spot if there is an issue and alert staff in the practice. Christine’s team monitors treatment progression in real time, oral health, and also patient compliance or non-compliance with braces. If the patient has a concern, the staff can review their scan immediately and triage any problems. This reduces the number of emergency appointments coming into the practice, which means less stress for the dentist and patients.

Christine says DentalMonitoring enables her to make sure treatment is going well and offers much more communication with patients. The weekly scans allow the practice to monitor oral hygiene, plaque, caries and recession. If there is a tooth not

moving the way Christine wants it to, she can pick up on this immediately. It can also pick up if braces are broken, wires are loose or elastics have come off, and also the position of the teeth and bite.

It results in fewer appointments for patients, says Christine: “It’s good for patients because if used well, there are fewer appointments, they have a shorter time in treatment, and they get better results”.

Christine introduces DentalMonitoring to patients at their first appointment. Her team helps the patient to download the app and shows them how to scan their teeth. For teenagers and younger patients, the parents have the app as well, and they can see all communications through the app.

Christine says: “It doesn’t take away from the fact that we still see the patients personally and get them in and adjust their braces as needed, but it does reduce unnecessary appointments and unnecessary travel, which is a big win for patients and parents. It works very well with aligner cases, as the plan is predetermined at the start of the treatment and doesn’t need regular adjustment like fixed braces. I can then monitor treatment progression with the weekly scanning”.

125 Journal of the Irish Dental Association | June/July 2024: Vol 70 (3) BUSINESS NEWS

Connecting in Kerry

The IDA Annual Conference, ‘Dental Connections’, took place in the Great Southern Hotel, Killarney, from April 25-27.

There was a fantastic turnout and a great atmosphere at this year’s IDA Annual Conference in Killarney, where dentists and dental team members came together for three days of educational and social connection. This year, the Conference was a joint event, and the organising committee was delighted to welcome delegates from the American Academy of Fixed Prosthodontics (AAFP) to Kerry for parallel sessions on Friday and Saturday. The Conference also featured the usual high standard of pre-Conference courses, as well as programmes for dental nurses and hygienists.

From start to finish

On Thursday, delegates had the opportunity to avail of hands-on learning from expert practitioners at the pre-Conference courses. Dr Bob Philpott showed how to get the best results during root canal treatment, while Dr Dipesh Parmar gave an anterior composite masterclass. Drs Mairead Browne, Paul Kielty and Sarah Kate Quinlivan facilitated a deep dive into the world of botulinum toxin treatments, and Dr Seamus Sharkey brought the focus to preparation design in fixed prosthodontics. Prof. Paul Brady and Dr Catherine Gallagher offered a short refresher course on conscious sedation, and Dr Linda Greenwall gave a workshop on whitening and white spot eradication with ICON. Feedback from the courses was excellent, with delegates delighted with the range and quality of the hands-on learning on offer.

Information,

knowledge, wisdom

Prof. Carl Driscoll was the first speaker at the AAFP session, with the message that ‘just because we can, doesn’t mean we should’. In an era of information overload, it’s all the more important, he said, that we question everything, look at the strength of the evidence, and ensure that all of our dentistry is carried out based on sound principles. There can never be a ‘one size fits all’ approach – each patient must be treated individually based on their lifestyle, health, and other considerations.

Dr Anne Gunderman’s topic was ‘Digital dentistry in the fourth dimension’, and she took the audience through her experience with state-of-the-art digital scanning, which captures jaw motion on screen in real time and thus enables advanced treatment planning. While this technology is relatively new and is of course costly, her experience has been positive so far. She talked through her use of the scanner and accompanying software, with some pointers on how to get the best from this technology, from patient positioning to integration with the laboratory for the best results.

Other topics covered during the AAFP programme included providing oral healthcare to an ageing population (Prof. Brian O’Connell), lithium disilicate restorations in the age of zirconia (Dr Kenneth Malament), shade selection and communication (Dr Advan Moorthy), the evolution of zirconia (Dr Ariel Raigrodski), peri-implantitis (Dr Radi Masri), and bone and soft tissue healing after extraction (Dr Ronan Allen).

Beyond the routine

Dr Neysan Chah took delegates through the different types of orofacial pain, and how dentists can care for patients with this challenging condition. He emphasised the need for a multifaceted approach that keeps respect for the patient and validation of their experience to the forefront.

Prof. Paul Brady addressed the topic of sedation from an Irish perspective in a lecture sponsored by the Journal of the Irish Dental Association . He discussed the history of sedation in dentistry, and summarised best practice, particularly when carrying out sedation in a general practice setting, with lots of practical advice and reference to the relevant Dental Council guidelines.

To start the afternoon, Dr Mairead Browne spoke on what’s new in botulinum toxin treatment, certainly a growth area for dentistry. She covered different techniques and products, including the pros and cons of the latest products on the market, saying that the range of treatment options, product choices and applications has never been so wide.

The world of forensic dentistry was the topic for Dr Aida Ben Cheikh, who gave a fascinating account of her work using her dental skills to identify victims of murder and mass trauma. She exhorted delegates to be aware of the role they play in this important work due to the records they keep and the stories these can tell.

To finish off the first full day of lectures, Dr Mahrukh Khwaja told the story of her journey as a dentist and mental well-being advocate, who is passionate about addressing mental health issues in the dental profession with positive psychology. It was a positive note to finish on, as delegates dispersed to prepare for the Annual Dinner, always a highlight of every Conference.

Practical patient care

On Saturday morning, topics ranged from the dentolegal to the surgical. In the opening presentation, which was sponsored by Medisec, Dr Mark Leffler, an oral surgeon and lawyer, asked ‘Why do patients sue?’, and gave a perspective from the United States on the big issues causing legal action and

126 Journal of the Irish Dental Association | June/July 2024: Vol 70 (3) IDA ANNUAL CONFERENCE

how dentists can protect themselves. Perhaps unsurprisingly, the best advice comes down to documentation, particularly of the consent process (make sure it’s contemporaneous, accurate and complete), and communication with the patient (should be timely, cordial, professional and empathetic).

This was followed by a joint presentation from Dr Kieran Daly and Mr Dylan Murray, who took delegates through a fascinating (and at times graphic) series of orthodontic and orthognathic surgical cases that have transformed

127 Journal of the Irish Dental Association | June/July 2024: Vol 70 (3) IDA ANNUAL CONFERENCE
Dr Seamus Sharkey giving his pre-Conference course on preparation design in fixed prosthodontics. Winner of the JIDA Cup, David Greham of 3M (left), accepts his prize from Paul O’Grady of sponsors Think Media Ltd. Dr Declan Fuller (right) receives the President’s Prize from Dr Danny Collins, Captain of the IDA Golf Society.

patients’ health and appearance. They emphasised the importance of preoperative planning (which they do using the latest digital technology) to the success of each case, and the complex, patient-centred approach to postoperative recovery.

Dr Ahmed Kahatab had a very different topic – caring for the frail older people in our community. He discussed age-related changes that can impact on dental health, from loss of muscle mass to dementia, and offered practical guidance on taking a risk factor-based approach that takes account of what the patient needs, and what can realistically be achieved for them.

On Saturday afternoon, the Conference departed from its traditional format with a panel discussion entitled ‘How to deal with the cracked tooth’. Dr Rory Boyd chaired the session, and Drs Donal Blackwell and Francesco Mannocci each gave their perspectives on diagnosis and treatment from the general practice and endodontic perspectives. The discussion was then opened up to the floor for a lively session on this tricky subject.

In the final lectures of the day, Dr Monik Vasant completed his lectures on composite artistry, while Dr Mike Gow gave clinical and practical tips to those present on managing anxious patients.

Delegates headed home after a wonderful weekend of learning and fun, and plans are already afoot to attend next year’s Conference, which returns to the Lyrath Estate in Kilkenny from May 15-17, 2025.

128 Journal of the Irish Dental Association | June/July 2024: Vol 70 (3)
IDA ANNUAL CONFERENCE
From left: Dr Robbie Boyd; Ms KK Land-Boyd; Dr Lean McMorrow; IDA President Dr Rory Boyd; Mrs Susan Boyd; and, Mr John Boyd. From left: Scott Lawrie, Colgate; IDA President Dr Rory Boyd; and, Stephanie Gribben, Colgate. Drs Mairead Browne (centre), Paul Kielty and Sarah Kate Quinlivan gave a pre-Conference course on facial aesthetics. Dr Kieran Daly (left) and Mr Dylan Murray.

In association with associates

More and more dentists are now associates and choosing to stay that way, and the IDA is working to improve and increase its offerings to this branch of the profession.

In the past, working as an associate was often seen as a stepping stone towards practice ownership, but now a growing number of dentists are, for a variety of reasons, content to remain as associates.

In November 2023, the IDA undertook a survey of its associate members. The survey revealed much about what they want from their careers, and what they don’t. Two-thirds of associates do not want to own a practice in the future. Most want to remain self-employed but one in six want to be an employee. The vast majority (nine out of ten) favour working in a dentist-owned and run practice. The main issues of concern for associates were clinical practice, business and commercial questions, mentoring, health and well-being, and maternity leave/support. Some 41% of associates also say that they do not have a support network, which is something the IDA can provide.

In light of these results, the IDA determined that it needs to adapt its services to better suit associates, in particular regarding CPD and advice. The Association plans to offer more CPD that targets associates’ issues of concern.

“The IDA can provide a peer-to-peer support network, especially for those young dentists seeking guidance or experience.”

IDA President Dr Rory Boyd (left) is keen to highlight the IDA support available to associates, such as the mentorship scheme, and says: “The IDA can provide a peer-topeer support network, especially for those young dentists seeking guidance or experience”.

Many associates may be in a position where they do not have a senior dentist in their practice to ask questions of, and the IDA is full of willing members ready to share their experience. This can be formally through the IDA Mentoring Programme or informally at IDA events. The Mentoring Programme has been in operation for a number of years and further details can be found at: https://www.dentist.ie/_fileupload/1.pdf

130 Journal of the Irish Dental Association | June/July 2024: Vol 70 (3) FEATURE

Associates Subcommittee

The IDA has also decided to form an Associates Subcommittee to the GP Committee. Half of the members of the GP Committee are already associates but it was felt a specific subcommittee was a good idea to ensure that the needs of associates could be highlighted.

Dr Caroline Robins (left), Chair of the GP Committee, says: “There is a very big proportion of dentists that are associates, and seem to not have much interest in taking on being practice owners and the management side of it. So we have to look at them. You have to look at your base and see who your members are”.

Rory Boyd says that the IDA is the voice of the profession and it’s important for all sections of dentistry to help form that voice: “Being a member gives input to that voice. Being an engaged member provides the Association with the most accurate information to advocate for various areas within the profession”.

Benefits of IDA membership to associates

The IDA offers benefits to all dentists, and associates will find as many advantages to membership as their practice-owning colleagues. The IDA is keen to highlight its offerings to associates, and for associates to get involved. Roisín Farrelly (left), Manager of the Communication and Advisory Service in the IDA, says: “We want to hear from associates and ensure that they know that we’re their Association too, and we’re there just as much for them as we are for practice owners”.

Some of the benefits to associates of IDA membership include helpful documents, such as template FAQs if they need to go into contract with a practice owner. The IDA offers HR and employment advice to all members. IDA membership gives dentists reductions on their indemnity cover with two major providers, Dental Protection and Medisec. Other benefits include discounts on car and home insurance with Gallagher, and a 33% discount on a Dental Update subscription. One of the major benefits of IDA membership is preferential rates on IDA CPD, as members pay 50% less than non-members. Many other reductions and offers are more relevant to practice owners but the IDA is exploring other offers that would be of interest to associates.

Serving associates

Rory says the IDA is only as strong as its members: “To have a strong association that can advocate and serve the profession, increased membership and engagement is a key cornerstone to that. It’s trying to create a community within dentistry and the Association that benefits both the individual and the collective. On an individual basis, of course there’s benefits to membership, but on a collective basis, those are far greater”.

Caroline says the Association is recognising that the demographics of the profession are changing: “We’re certainly seeing more associates and associates have different wants and needs. A lot of them are younger, so we need to

“There is a very big proportion of dentists that are associates, and seem to not have much interest in taking on being practice owners and the management side of it. So we have to look at them. You have to look at your base and see who your members are.”

advocate for them. We need to be providing what they’re looking for, whether that’s CPD or a forum for them to be able to talk to each other, because dentistry can still be a very lonely spot, especially for new graduates”. The IDA plans to form a network of associates or an improved way for associates/younger members to engage with the Association. Another new initiative is a Young Dentistry Advisory Panel. The form this will take is still being

131 Journal of the Irish Dental Association | June/July 2024: Vol 70 (3) FEATURE

determined but it will be launched later in the year. There will also be more events and webinars specifically for associates. A number of years ago, the IDA published a document called ‘Starting Dentistry in Ireland’, which gave a comprehensive overview of how to start your career in this country, whether you were coming from abroad or had just graduated from an Irish dental school. This document is being updated this year and there will be an event in September around this and the finance of the business, which will be of great interest to associates.

Roisín says the IDA is always keen for new people to get involved: “We’re always looking for people to get involved either at branch level or at national committee level. I think that that would be really important. If people are interested, they should contact some of their local branch reps”.

An associate’s view

Dr Sarah Edgar is an associate at Station House Dental in Letterkenny, Co. Donegal. She has worked across Derry and Donegal as an associate since 2006, and says that a good associate understands that they can contribute to making a practice a good place for patients, practice owners and staff: “I think any conscientious professional associate who is successful in the practice they’re in will realise they can contribute to practice management and how the place is run. They can’t just say: ‘That’s not my responsibility’. We can really contribute to how smoothly a practice runs and staff relationships, and how successful the practice is from a financial point of view”.

However, Sarah has no desire to own a practice herself: “I’m now in my midforties and I have a busy family life, and I think I probably fit the profile of a lot of associates – part-time working mums. I can see that being a practice owner, while it has a lot of advantages, there’s a lot of drawbacks”.

Sarah enjoys what being an associate offers, such as a good work–life balance and being able to focus on clinical instead of clerical work. Conversely, one of the challenges of being an associate is that you don’t have a say in how the practice you’re working in is run, she says: “You may find that’s a drawback because as an associate, you’re equally responsible to the Dental Council, the professional registration body, and how you comply ethically and legally. So you could find yourself in a practice where you’re not happy with certain aspects of practice management or practice compliance with legislation. And while you’re held responsible for it, you’re not really in a position to do anything about it, depending on what relationship you have with your principal. So you could find yourself somewhere where you’re very unsupported”.

That’s why Sarah says it’s important as an associate to choose a practice where you are supported. That’s something you learn to do over time, she says: “And when you’re a very new associate, you’re very reliant on the practice staff to really teach you a lot as well, how to manage patients and how things run in a practice”. Another advantage to being an associate is if you want to specialise. If this is what you want, you may not find there is enough work in one practice, so you could work in a few practices, building up enough experience by working different days in different places.

Save the date

Starting Dentistry in Ireland

Full-day seminar

Hilton Hotel, Charlemont Place, Dublin 2

Friday, September 13, 2024

Full programme to follow

“I think a good conscientious associate will realise that they do have a role to play in a successful practice.”

A willing associate in a good practice will find they have a lot to offer, says Sarah: “I think a good conscientious associate will realise that they do have a role to play in a successful practice. Staff relationships are one of the main things because you’re stuck in between. You’re not the owner but the staff in some way have to do what you ask them. You are at one level managing them because you need them to co-operate with you with regards to patients, payments, referrals, holidays, and all these things. You need to have a good relationship with the staff”.

In the IDA

Sarah is now a member of the IDA’s GP Committee but only joined the Association about four years ago. She was under the impression that the advice and supports were mainly for practice owners but has realised this is not the case: “I’ve actually found it very useful. It helped me deal with clinical stuff”.

Sarah would like to see the IDA campaign more to show what it offers associates: “It’s not just an Association for practice owners and principals, there are very important services that can be delivered, mainly giving advice and also CPD. I think a really useful thing to do in the IDA is maybe help an associate to give them the knowledge to pick out a practice that suits them and not just take the first job that comes along. Maybe give some pointers, red flags and green flags in a practice, things that are really going to help you as a young dentist and how to fit into a practice”.

A support network for associates is something the IDA could provide: “Some new graduates are very confident and it’s well-placed confidence, and some are not so confident and just need a support network and end up in a practice maybe where they’re very isolated. It really is luck of the draw. You don’t know what to look out for as a young dentist”.

Sarah says it’s important for associates to feel valued: “It’s not like you’re a lesser type of dentist. You just haven’t taken on the responsibility of running the business. But it doesn’t mean that you’re not important and that you don’t have an important service to offer and lots of experience with staff and patients”.

132 Journal of the Irish Dental Association | June/July 2024: Vol 70 (3) FEATURE

MEMBERS’ NEWS

Busy year ahead for GP Committee

The GP Committee held its AGM at this year’s Annual Conference, reflecting on a year where much was achieved, and planning for a busy year ahead.

Dr Will Rymer, outgoing GP Committee Chair, said there was much to be positive about, citing recent negotiations with the Department of Social Protection on the Dental Treatment Benefit Scheme (DTBS) contract. While the initial contract proposed by the Department contained several fundamental changes, strong lobbying by the IDA led to the removal of most of these, and to a small increase in fees to dentists under the Scheme. Will said the final contract is not perfect, but is a step in the right direction. The IDA plans to address the fees for scale and polish next, as well as the definition of a dental examination, and how radiographs are dealt with under the Scheme. Will also spoke about Smile agus Sláinte, the national oral health policy, and the increasing signs of a level of seriousness in Government regarding its implementation. He pointed out that the policy takes a selective approach to adopting the recommendations of the WHO oral health policy. The new IDA policy document, ‘Towards Sustainable Oral Health Services: Delivering the WHO Healthcare Strategy for Ireland’, goes back to the source WHO document rather than relying on the interpretation contained in Smile agus Sláinte. Will praised Dr Eamon Croke for his work on the this document, which sets out the Association’s goals and provides an important foundation for future discussions.

Communications

Roisín Farrelly, Manager of the IDA’s Communications and Advisory Service, gave an update on the Association’s communications. Significant investment in communications and public relations has reaped rewards in the past year, with coverage worth over ¤4.2m achieved. Roisín cited the excellent coverage of dentistry during the Annual Conference weekend, including on the cover of the Irish Independent. She praised the dentists who have volunteered to act as media spokespersons for putting a personal face on the issues for the public. The focus this year will be on internal communications, including updating the IDA website. There will also be a focus on getting more associate dentists involved in the Association after an IDA survey found

that many do not feel that the IDA’s services are relevant to them. It is planned to address this via a new digital strategy, as well as work to increase the number and range of member benefits. A new associate subgroup of the GP Committee will also be set up to increase representation within the Association.

The year ahead

As Dr Caroline Robins takes on the role of Committee Chair, with Will as Vice-Chair, workforce planning will be another area of priority in the coming year. IDA surveys have shown the impact of dental team shortages on both dentists and patients, and the Association will continue to advocate for changes to work permit regulations and the expansion of undergraduate courses, among other areas.

DTBS fees set to near ¤70m this year

Fees paid for Dental Treatment Benefit Scheme (DTBS) treatments reached ¤32.5m in May, suggesting a total spend of around ¤70m for 2024.

The spend for 2023 amounted to ¤59.9m, representing payment for just over one million claims. The increase in the examination fee from ¤33 to ¤40 following the fees review and discussions with the IDA is likely to see the total spend for the scheme reach ¤70m this year. The fees increase, combined with the increase in claims submitted, means that a 15% increase in fees income for dentists is expected this year compared to last year.

Currently, 1,795 dentists have returned the updated DTBS contracts to the Department of Social Protection, representing 99% of all dentists who had been participating in the Scheme.

The 2024 fees review has commenced and is set to conclude by the end of June. A decision on the review of fees should be made by the end of July. The Association will again be representing members in this review and presenting submissions as part of our engagement on behalf of members.

133 Journal of the Irish Dental Association | June/July 2024: Vol 70 (3)
Volume 70 Number 3 June/July 2024

IDA at the Oireachtas

A delegation from the IDA addressed the Joint Oireachtas Health Committee in Leinster House on May 1, 2024. The following is an extract from the opening address to the Committee from IDA CEO Fintan Hourihan.

This is the third time we have been invited to address the Oireachtas Health Committee during the lifetime of the 33rd Dáil. We welcome your continued interest in the concerns we have consistently raised around the provision of dental care in Ireland. Regrettably, we cannot report that this Government has afforded the necessary urgency or priority in dealing with the concerns we have consistently highlighted.

The only hope we can cling to is that the World Health Organisation (WHO) has published a global oral health strategy, to which the Irish Government is a signatory, with hugely ambitious targets to improve access to oral health.

The Association recognises the challenges and opportunities the WHO targets present, and we have published a comprehensive position paper,1 which examines the implications of the WHO plan, assesses our readiness to meet those targets, and identifies the necessary foundations and stepping stones needed to ensure successful reform in many areas.

Three challenges

Today, we wish to address three challenges in regard to the provision of dental care in Ireland: namely, our concerns in regard to equitable access to dental care; the need to urgently address concerns we hold in regard to patient safety; and, the workforce and capacity challenges we face and what the State can do in order to reduce the shortage of dental staff.

The majority of dental care is provided by dentists to private patients. Over 80% of dental care is paid for as an out-of-pocket expense by patients. This raises a number of issues. As dental practices are very expensive to operate, and dentists receive no subvention to meet their operating costs (unlike medical GPs, who receive ¤200m in practice supports per annum), their fees must be set at a level to cover their operating costs.2

For the patient, this means that dental care is an expensive cost and potentially this could make it unaffordable for many patients. The State can help patients in meeting the costs of dental care by either subventing practice costs, which it has refused to do, or by subsidising the cost incurred by patients through direct subsidy payments to the patient or by allowing tax relief to patients to reduce the cost to the patient.

The Med 2 scheme did allow marginal rate tax relief, but this was restricted to standard rate relief, which had the effect of increasing the net cost to patients. We believe that the State should review the operation of the Med 2 scheme to alleviate the cost to patients.

Vulnerable patients

Dentists want to be able to provide care to all in their community. For vulnerable or marginalised adults, the State has an important role to play in commissioning dental care to medical card patients and providing limited supports in return for PRSI contributions. Successive year-on-year polls conducted by the Irish

Today, we wish to address three challenges in regard to the provision of dental care in Ireland: namely, our concerns in regard to equitable access to dental care, the need to urgently address concerns we hold in regard to patient safety, and the workforce and capacity challenges we face and what the State can do in order to reduce the shortage of dental staff.

Dental Association show that over 90% of our membership wants to see a State scheme to assist access to dental care for lower income groups.

The medical card scheme has been spiralling into chaos over many years. There was a small rise in numbers of treatments provided after the Minister increased payments to dentists last year, but barely one in four dentists participates in this scheme and the number of patients seen is 35% less than in 2014.3 Three years ago, in May 2021, Minister Donnelly announced that he would instruct his officials to begin talks on a new scheme with the Association as a matter of urgency. We are still waiting for formal talks on a new scheme to begin.

I should add that we have suggested an interim emergency scheme, whereby HSE dental clinics would be opened at nights and weekends to allow public and private dentists to volunteer to see patients, but we are waiting for a response on this point also. In fact, the IDA has commissioned and published a plethora of research and proposals to replace the current scheme with a far more effective model for medical card patients.

Our experience with the medical card scheme is one of the many reasons why dentists feel we are always one excuse or one more promise away from anything being done by the State to address problems that nobody disputes are real.

Persons who have temporary international protection or who are seeking asylum as refugees need care, which the State should fund or provide directly through its own dental service within the HSE. As I will go on to explain, the complete collapse in the HSE dental service, designed to provide care primarily for children and special care patients, means that the arrival of tens of thousands of vulnerable adults into their clinics has caused huge stresses on the system and on those who are employed to care for children and special care patients.

134 Journal of the Irish Dental Association | June/July 2024: Vol 70 (3) MEMBERS’ NEWS
Our experience with the medical card scheme is one of the many reasons why dentists feel we are always one excuse or one more promise away from anything being done by the State to address problems that nobody disputes are real.

Children

Thirty years ago, the Government published a plan, which promised that children would be seen by a dentist at three different stages in their primary school days through the school screening service operated by the HSE. Our experience now is that many children are only seen once in primary school, usually in sixth class, which is way too late, or in some cases they are being seen for the first time in secondary school up to Transition Year.

In fact, we have now established that at least 100,000 primary school children were denied a dental appointment by the HSE dental service last year alone, less than 50% of the eligible cohort.4 This figure is also obscured by the fact that secondary school pupils who are being seen as a catch-up are also included in this data.

The reason fewer children are being seen is simple: the HSE dental service has been neglected and woefully understaffed. The number of dentists and dental team members in the HSE dental service has fallen by over 23% in the past decade, while the number of eligible patients has risen by the same amount. For some reason, dentistry in the HSE has been uniquely neglected. Between 2012 and 2021, the HSE has increased the number of junior doctors by 52%, hospital consultants by 44%, administrators have increased by 37%, and the number of nurses has increased by 20%.5 In stark contrast, the number of dentists employed by the HSE has fallen by 23% between 2006 and 2022.6 To compound those problems, access to operating theatres when patients require treatment under general anaesthesia (GA) has been severely diminished, primarily because of the failure to provide access to facilities (promised to be provided in James Connolly Hospital, Blanchardstown) following the closure of the GA clinic in St James’s Hospital in 2014. That clinic had provided treatment under GA to 3,000 patients per annum.

There is a real sense of uncertainty within the public dental service right now, especially given the Minister’s statement indicating his desire to develop a scheme that would see dental care for children up to seven provided by private dentists. We welcome the commitment to improve access to dental care for children, but we have serious doubts about the solution being proposed by the Minister, especially when a viable scheme (school screening service) is available but not resourced. Nine out of ten private dentists have told us they believe that the State should prioritise rebuilding the HSE dental service over launching a scheme for private dentists, which the vast majority of dentists say they would not have the capacity to provide.7

We believe that as an immediate measure, the Minister for Health should give a clear and unambiguous statement on the future of the HSE dental service and sanction the gradual rebuilding of the service to bring staffing levels back to where they were even before we saw a rapid increase in the number of eligible

patients. The continued uncertainty is making it almost impossible in many cases to hire badly needed staff when the HSE only permits the recruitment of dentists simply to replace those who retire or resign.

Patient safety

Concerns about patient safety have been thrown into sharp focus with several disturbing media investigations broadcast by the RTÉ Primetime Investigates team over the last 12 months.

The Irish Dental Association has consistently called for the Dentists Act 1985 to be updated and modernised to allow for the mandatory licensing and inspection of dental practices, among other changes.

As it stands, the Dental Council does not have the relevant powers to conduct investigations, carry out inspections or issue sanctions in many instances where patient care is being jeopardised.

The Government has modernised legislation as required by other health professions. Unfortunately, this has not been the case for dentistry.

The Primetime Investigates programme outlined the shocking situation of the apparent illegal cross-border importation of controlled substances such as botulinum toxin (commonly known by its brand name Botox) and other products, the sale of controlled substances to unqualified or unlicensed individuals and entities, and the use of these products by unqualified individuals.

We again ask that the Oireachtas would prioritise reform of the Dentists Act 1985 or bring amendments via secondary legislation to bring the dental sector onto the same regulatory footing as that of general health.

We also call for publication of the Patient Safety (Licensing) Bill in addition to reform of the Dentists Act 1985, to ensure that patient information and safety is of the highest quality, and to allow greater powers to the Health Information and Quality Authority (HIQA), the Health Products Regulatory Authority (HPRA), the Medical Council and all other relevant State regulatory bodies in order to ensure that the application of the law is thoroughly followed.

Dental workforce capacity

The single greatest impediment to improving access to dental care is the shortage of dentists and dental staff to provide such care.

Our latest survey of members (2024) reveals that 65% of private dentists have been unable to recruit a candidate for dentist positions. Over half (55%) of dentists have been unable to recruit dental nurses. Not surprisingly, this means that there has been an impact on waiting times and access to dental care:

n two-thirds of dentists surveyed said the shortage of dental staff is impacting on patient access and treatment;

n one-quarter of dentists questioned said they are currently not taking on any new private adult patients;

n nearly one in seven patients (13%) are now waiting over four months for a general dental appointment – this has increased from one in 20 (or 5% of patients) in 2023 – in other words, it has more than doubled; and, n one-third of patients are now waiting over four months for an appointment with a specialist (the number waiting over four months has doubled since April 2023).

There are several solutions needed to rectify the staff shortage and we previously presented a detailed paper on the workforce issue.8

135 Journal of the Irish Dental Association | June/July 2024: Vol 70 (3) MEMBERS’ NEWS

There is a real sense of uncertainty within the public dental service right now, especially given the Minister’s statement indicating his desire to develop a scheme that would see dental care for children up to seven provided by private dentists.

We acknowledge the welcome decision by the Government to fund extra undergraduate places to be provided by a new RCSI dental degree in Dublin. However, the decision to cancel the building of a new dental school in Cork is profoundly worrying. We believe that with some smart thinking and collaboration between the relevant Government departments, UCC and the HSE, a funding solution should be possible, which would not only allow a badly needed dental school to be built on a greenfield site, but also allow expansion of the capacity in Cork University Hospital (CUH), on whose campus the current dental school is located.

Last December, there were 30,000 adults and over 5,000 children on the outpatient waiting lists at CUH.9 If a solution can be found to allow the construction of a new dental school on a greenfield site, then not only will it allow more dentists to be trained in a modern facility, it would also allow expansion in capacity at the CUH campus.10 We hope that a win-win funding solution can be found without delay; otherwise, we fear that there will be a reduced number of dental graduates from Cork due to safety concerns that have been expressed by the Dean of the Dental School, Prof. Paul Brady. We are working with the Department of Enterprise and hope that some changes can be made to the work permits regime, which will allow the employment of more dental nurses and hygienists especially. Given that most dentists operate on a self-employed basis, the scope for engaging extra dentists from outside the EEA is limited, and we will also seek to engage with the Department of Justice in regard to visa requirements.

A final change that could be made by the Minister for Health would be to authorise the recognition of dental specialties. Both the Dental Council and the Association have called for nine additional specialties to be recognised to bring us into line with the UK especially.11 This would undoubtedly help in the recruitment of badly needed extra specialists and consultants, it would reward those dentists who pursue further training (usually at their own expense), and also provide greater clarity to the public in deciding on their treatment options.

We acknowledge the welcome decision by the Government to fund extra undergraduate places to be provided by a new RCSI dental degree in Dublin.

There is so much that we need to see done and the State has a central role to play in enabling greater access to dental care, in ensuring patient safety, and in ensuring that we have as many dentists as we need to provide the highest standard of dental care and treatment our citizens expect.

The Irish Dental Association is more than ready to play its part. We need the Government to move from talk and plans to engaging with the Association and delivering the necessary reforms and resources we have clearly identified to realise the ambitious goals of the WHO global oral health strategy.

There is so much that we need to see done and the State has a central role to play in enabling greater access to dental care, in ensuring patient safety, and in ensuring that we have as many dentists as we need to provide the highest standard of dental care and treatment our citizens expect.

References

1. ‘Towards Sustainable National Oral Health Services: Delivering the WHO Healthcare Strategy for Ireland’. IDA Position Paper, March 2024.

2. HSE PCRS Annual Reports.

3. The number of patients treated under the DTSS fell from 436,433 in 2014 to 283,505 in 2023. Source: reply to Parliamentary Question submitted by Deputy Carol Nolan, PQ 10288.24, March 19, 2024.

4. Reply to Parliamentary Question submitted by Deputy Carol Nolan PQ10294.24, March 15, 2024.

5. Health in Ireland, Key Trends. Department of Health, 2022.

6. HSE workforce data provided to Irish Dental Association.

7. IDA members’ survey, April 2024.

8. ‘Providing Dental Care in Ireland: A Workforce Crisis’. Irish Dental Association policy paper, 2022.

9. NTPF website, data as at December 28, 2023. Minister Stephen Donnelly has said that his Department’s policy states that the ratio of students in Irish dental schools should be 25:75 non-EEA vs EEA students in response to a Parliamentary Question asked by Deputy Colm Burke, despite 2022 figures demonstrating a ratio of 60:40 non-EEA vs EEA in UCC and a ratio of 38:62 in TCD (April 9, 2024).

10. The current ratio of dental students enrolled in UCC is equal to 59:41 non-EEA vs EEA students and the ratio of dental students currently enrolled in TCD is equal to 45:55 non-EEA vs EEA students (2023 figures). Both dental schools rely on the enrolment of non-EEA students to cross-subsidise EEA students due to the high costs of training dental graduates.

11. Just two dental specialties are currently recognised – orthodontics and oral surgery. In medicine there are 60 specialties in 14 different disciplines. Source: HSE/Forum of Postgraduate Medical Training Bodies, ‘Medical Disciplines, Specialties and Training Pathways, 2021’.

136 Journal of the Irish Dental Association | June/July 2024: Vol 70 (3) MEMBERS’ NEWS

Prescribing antimicrobials effectively in dentistry

Resources are available to support the role of the dentist in antimicrobial stewardship.

Background

The discovery of antibiotics revolutionised modern medicine and extended the average human lifespan by 23 years.1 Antimicrobial resistance threatens to reverse the progress that has been made. In 2019, there were 4.95 million deaths globally associated with drug-resistant bacterial infections.2 That figure may rise to as many as 50 million by 2050, making this an unprecedented global public health problem.3

The threat of a post-antibiotic era has prompted the publication of Ireland’s One Health National Action Plan on Antimicrobial Resistance (2021-2025).4 This National Action Plan advocates for the judicious use of antimicrobials to limit any unintended consequences and antimicrobial resistance. This approach is commonly known as antimicrobial stewardship.

Antibiotic resistance is largely driven by the overuse and misuse of antibiotics in people, animals and in the environment.4 Dentists are responsible for approximately 10% of antibiotic prescribing in humans globally.5 With several international studies of dental antibiotic prescribing demonstrating that overprescribing occurs frequently,5 dentists have an opportunity to contribute significantly to slowing the development and spread of antibiotic resistance by optimising prescribing. This article aims to show how dentists can support good antimicrobial stewardship in their practice.

TIP: The HSE Antibiotic Prescribing website, www.antibioticprescribing.ie, is a reference source that offers up-to-date guidelines for community-based healthcare professionals, including dentists (Figure 1). The website includes treatment tables for dental and oral infections, in addition to safety information such as drug interactions.

Principles of antimicrobial stewardship in dentistry

n Always consider local measures in the first instance, as this may avoid the need for an antibiotic.

n Prescribe an antibiotic only when there is likely to be a clear clinical benefit.

n Antibiotic therapy is not a substitute for dental treatment – the use of antibiotics for dental infection is likely to be as an adjunct to operative intervention or other treatment modalities.

n It is imperative that severe, spreading dental infection should be managed promptly with effective antibiotics and operative management.

Quality, Safety and Service

Improvement Department

Cork Kerry Community Healthcare HSE

FIGURE 1: The HSE Antibiotic Prescribing website, www.antibioticprescribing.ie, offers up-to-date guidelines for communitybased healthcare professionals, including dentists.

TIP: In acute dental infection, antimicrobials are generally reserved for cases where there is acute dental pain with associated swelling and any of the following: systemic upset; cellulitis; tender lymphadenopathy; trismus; or, fever.

Considerations when prescribing antimicrobial therapy

Antimicrobial choice

n Where an antimicrobial is indicated, consideration should be given to prescribing the most narrow-spectrum antimicrobial that is likely to be effective (see www.antibioticprescribing.ie).

n Consideration should also be given to the following:

➤ previous antimicrobial treatment;

➤ the allergy status of the patient;

➤ the patient’s medical history;

➤ other medicines the patient is taking; and,

➤ known renal or hepatic impairment.

Quality, Safety and Service Improvement Department

Dublin South, Kildare & West Wicklow Community Healthcare, HSE

Corresponding author: Callum Ryan E: callum.ryan@hse.ie

137 Journal of the Irish Dental Association | June/July 2024: Vol 70 (3) CLINICAL TIPS

CLINICAL TIPS

Table 1: Antimicrobial prescribing in dentistry: summary guidance for common conditions in adults.6

Condition Where indicated, first-line choice antibiotics for adults (see www.antibioticprescribing.ie for further recommendations)

Acute dento-alveolar infection

Phenoxymethylpenicillin 666mg (Calvepen) or 500mg (Kopen) every six hours for five days

Periodontal abscess Or, in penicillin allergy: Metronidazole 400mg every eight hours for five days

Necrotising periodontal disease

Pericoronitis

Acute pulpitis

Dry socket

Metronidazole 400mg every eight hours for three to five days

Metronidazole 400mg every eight hours for three to five days Or

Amoxicillin 500mg every eight hours for three to five days

Antibiotics not indicated

Antibiotics not indicated in the absence of spreading infection/systemic symptoms

n The use of clindamycin, co-amoxiclav or cephalosporins is not recommended for the routine management of dental infections. The inappropriate use of these antibiotics can increase the risk of Clostridioides difficile infection and antibiotic resistance.

Antimicrobial dose

n Dosing recommendations are available in antimicrobial guidelines such as www.antibioticprescribing.ie

n In severe infection, the maximum dose of an antimicrobial should be considered.

n For children with a severe infection or at extremes of body weight for their age, the antibiotic dose should be calculated using a weight-based dose (mg/kg). The child’s weight should be recorded on the prescription.

n Under-dosing has been shown to be associated with ineffective treatment and increasing antibiotic resistance.

n Overdosing may lead to toxicity and adverse drug reactions.

n Consideration should be given to hepatic and renal impairment, particularly in the elderly.

Quiz

Antimicrobial duration

n The duration of treatment depends on the severity of the infection and the clinical response, but a recommended treatment duration is detailed in antimicrobial guidelines such as www.antibioticprescribing.ie

n Unduly prolonged courses of antimicrobial treatment should be avoided as these can promote the development of antimicrobial resistance and adverse effects.

The HSE Dental Antimicrobial Prescribing Guidelines were updated in November 2023 and are accessible from www.antibioticprescribing.ie. In addition to the conditions listed in Table 1, the guidelines also cover fungal infections, angular cheilitis, acute sinusitis and antibiotic prophylaxis of infective endocarditis, along with providing general guidance on writing a prescription.

TIP: Antimicrobial medicines should not be disposed of in household waste due to the risk of environmental contamination. Advise patients to return any unused or excess antibiotics to their dispensing pharmacy.

Acknowledgements

HSE Antibiotic Working Group, notably the Dental Expert Advisory Sub-Group. With special thanks to Prof. Claire Healy and Mala Shah.

References

1. Hutchings MI, Truman AW, Wilkinson B. Antibiotics: past, present and future. Curr Opin Microbiol. 2019;51:72-80.

2. Antimicrobial Resistance Collaborators. Global burden of bacterial antimicrobial resistance in 2019: a systematic analysis. Lancet. 2022;399(10325):629-655.

3. The Review on Antimicrobial Resistance. Chaired by Jim O’Neill. Final report and recommendations. May 2016. https://amr-review.org/

4. Government of Ireland. Ireland’s Second One Health National Action Plan on Antimicrobial Resistance 2021-2025. 2021. https://www.gov.ie/en/publication/d72f1-joint-action-on-antimicrobialresistance/#irelands-second-one-health-action-plan-on-antimicrobial-resistance-2021-2 025-inap2

5. Thompson W, Williams D, Pulcini C, Sanderson S, Calfon P, Verma M. FDI White Paper: The essential role of the dental team in reducing antibiotic resistance. 2020. https://www.fdiworlddental.org/resource/fdi-white-paper-essential-role-dental-teamreducing-antibiotic-resistance#:~:text=The%20white%20paper%20highlights%20how,thr ough%20antibiotic%20stewardship%20in%20dentistry

6. Health Service Executive. Oral and Dental Infections. HSE Antimicrobial Prescribing Guidelines for Community Settings in Ireland. www.antibioticprescribing.ie

Submitted by Dr Paul Murphy BDS (Hons) MFD DClinDent MOrth.

An 18-year-old patient attends your surgery complaining of crowding, a narrow smile and some clicks while eating, with frequent headaches reported.

Questions

1. What investigations would you undertake?

2. What factors influence expansion of the maxilla?

3. What may be the likely treatment that you could outline to the patient if asked about potential treatment modalities? Answers on page 150

138 Journal of the Irish Dental Association | June/July 2024: Vol 70 (3)

The zygomatic implant perforated (ZIP) flap for rehabilitation of patients with midfacial oncology defects: a report of three cases

Précis: This paper reports on the recent use of a novel reconstructive technique for three Irish head and neck cancer patients.

Abstract

The management of patients with a maxillary tumour is complex, especially reconstruction and rehabilitation. The techniques for closure or obturation of any oro-antral/nasal communication are well described. What is less well described is the effective and timely restoration of facial form and dentition, ideally prior to commencement of radiotherapy. This paper describes the use of the zygomatic implant perforated (ZIP) flap technique to provide immediate reconstruction and rapid dental rehabilitation in three cases of midface/maxillary oncologic ablative defects.

Three patients who underwent ZIP flap reconstruction at St James’s Hospital between September 2022 and March 2023 are described. One of them had a total maxillectomy and two had an extended hemi-maxillectomy. All patients had a ZIP flap including a radial forearm free flap, with four zygomatic implants in one case and two zygomatic implants in each of the other cases. All implants placed had good primary stability and the median time to prosthesis fit was 22 days. All patients underwent adjuvant radiotherapy.

Journal of the Irish Dental Association June/July 2024;70(3):139-144

Introduction

The maxillectomy patient presents unique challenges in terms of their surgical management and prosthodontic rehabilitation. Relative to other oral cavity subsites, maxillary tumours are less common. Between September 2021 and January 2023, out of a total of 120 oral cavity tumours (with 42 free flaps) managed surgically by the authors, only seven (6%) were maxillary tumours. Reconstruction of the midface is challenging given the anatomical complexity of the region and the need to restore function and aesthetics while ensuring en bloc resection of the primary tumour. Most commonly, maxillary tumours will present as a Brown Class 2 subtype with resultant oro-antral and oronasal communications ( Figure 1 , Table 1 ). 1 The resultant defect, without appropriate reconstruction, can have a profound impact on patients in terms of nutrition, speech and psychological well-being. Reconstructive options can

Brian Martin

MB BCh BAO BA BDentSc Dip

PCD MFD(RCSI) NCHD

National Maxillofacial Unit

St James’s Hospital, Dublin

include non-surgical, surgical or combined modalities.2 These range from the use of an obturator prosthesis to free tissue transfer.

The use of zygomatic implants for reconstruction and rehabilitation post maxillary tumour ablation is well described. However, this technique does not address an oroantral or oronasal communication, and resultant patient difficulties. First described in 2017, the zygomatic implant perforated (ZIP) flap facilitates rapid oral rehabilitation in the postoperative period prior to commencement of adjuvant treatment, where required.3 While not only providing good primary stability for an immediate prosthesis, it also closes any oronasal/antral communications and so seeks to combine some of the advantages of both a free flap and an implant-retained obturator. Herein we present the first three cases of ZIP flap reconstruction in our unit in St James’s Hospital. We hope this raises awareness, among the readership of this Journal, of the advances in reconstructive options available for their potential patients.

Edward Cotter

BA BDentSc FFD(RCSI) MS

Prosthodontics

Maxillofacial prosthodontist

Hermitage Medical Clinic

Old Lucan Road

Dublin

Conor Bowe

MB BCh BAO BA BDentSc

FFD(OSOM) RCSI

FRCS(OMFS)

Consultant Oral and Maxillofacial/Head and Neck

Surgeon

National Maxillofacial Unit

St James’s Hospital, Dublin

John Edward O’Connell

MB BCh BAO BA BDS FFD(OSOM) RCSI

FRCS(OMFS)

Consultant Oral and Maxillofacial/Head and Neck

Surgeon

National Maxillofacial Unit

St James’s Hospital, Dublin

Corresponding author: Brian Martin, National Maxillofacial Unit, St James’s Hospital, Dublin E: martinb5@tcd.ie

139 Journal of the Irish Dental Association | June/July 2024: Vol 70 (3) PEER-REVIEWED

FIGURE 1: Brown classification of maxillary defects. Adapted from Brown et al. (2000).4

Table 1: Brown classification of maxillary defects. Adapted from Brown et al. (2000).4

Vertical component

n Class I: Removal of maxillary alveolar bone without resultant oro-antral or oronasal fistula

n Class II: Low maxillectomy. Resection of the maxillary alveolus and antral walls but not involving the orbital floor or rim

n Class III: High maxillectomy. Involves the orbital floor, periorbital structures +/- skull base resection

n Class IV: Radical maxillectomy. Orbital exenteration +/- anterior skull base resection

Horizontal component

n a: Unilateral resection of alveolar maxilla and hard palate

n b: Bilateral resection of alveolar maxilla and hard palate

n c: Complete resection of alveolar maxilla and hard palate

Table 2: AJCC TNM staging for OSCC. Adapted from AJCC Cancer Staging Manual.5

Categories

Primary tumour (T) n Tx n T0 n T1

T2

T3

T4a

T4b Regional lymph nodes (N)

Definition

Primary tumour cannot be assessed

No evidence of primary tumour

Carcinoma in situ

Tumour 2cm or less in greatest dimension

Tumour more than 2cm but less than 4cm in greatest dimension

Tumour invades through cortical bone into deep (extrinsic) muscle of tongue, maxillary sinus, or skin of face

Tumour involves masticator space, pterygoid plates, or skull base, and/or encases internal carotid artery

Regional lymph nodes cannot be assessed

No regional lymph node metastasis

Metastasis in a single ipsilateral lymph node, 3cm or less in greatest dimension

Metastasis in a single ipsilateral lymph node, more than 3cm but less than 6cm in greatest dimension

Metastasis in multiple ipsilateral lymph nodes, none more than 6cm in greatest dimension

Metastasis in bilateral or contralateral lymph nodes, none more than 6cm in greatest dimension

Metastasis in a single lymph node, more than 6cm in greatest dimension

Case histories

Patient A

Patient A is a 66-year-old male who was referred by his general medical practitioner (GMP) with a large ulcer of the hard palate, which had been present for approximately six months. Relevant risk factors for oral squamous cell carcinoma (OSCC) included a 40-pack-year smoking history and prior excess alcohol consumption of 60-80 units per week. The patient was otherwise healthy with no regular medications and no known allergies. Following a biopsy for tissue diagnosis, relevant staging scans and discussion at the head and neck cancer multidisciplinary team meeting (MDT), it was recommended to proceed with surgical management of the tumour.

The patient underwent surgery in September 2022, which included a tracheostomy, sub-total maxillectomy, bilateral selective neck dissections, placement of two zygomatic implants on either side (four in total), and reconstruction of the defect with a right radial forearm free flap in a ZIP flap design. This was followed by a short postoperative stay in the intensive care unit (ICU) with subsequent ward-based care until discharge. The final pathological diagnosis was a pT4a pN0 MX OSCC with clear margins, as per the American Joint Committee on Cancer (AJCC) Tumour Node Metastasis (TNM) staging system (Table 2). The date of prosthesis insertion was 21 days after surgery prior to the

Distant metastasis (M)

M1

Distant metastasis cannot be assessed

No distant metastasis

Distant metastasis

commencement of adjuvant treatment. Adjuvant treatment, recommended by the head and neck MDT based on the final pathology, consisted of 60Gy radiotherapy in 30 fractions, which the patient completed. Figures 2 and 3 illustrate the primary tumour, intraoperative stages, and postoperative radiograph demonstrating implant positioning.

Patient

B

Patient B is a 78-year-old female who was referred by her general dental practitioner (GDP) with a non-healing ulcer of the left posterior maxilla. Relevant risk factors for OSCC included longstanding oral lichen planus (OLP), which was being monitored by the patient’s dentist. 6 The patient’s medical history was also significant for hypertension and primary biliary cirrhosis for which she takes amlodipine and ursodeoxycholic acid, respectively. She was a

140 Journal of the Irish Dental Association | June/July 2024: Vol 70 (3) PEER-REVIEWED
n
n
n Nx n N0 n N1 n N2a n N2b n N2c n N3
n
n
n
n
n Mx
M0

FIGURE 3: Orthopantomogram demonstrating position of zygomatic implants for patient A.

6: Orthopantomogram demonstrating position of zygomatic/dental implants for patient B.

141 Journal of the Irish Dental Association | June/July 2024: Vol 70 (3) PEER-REVIEWED
FIGURE 2: Clinical images demonstrating maxillary SCC (A), resected specimen (B), ablative defect (C), and ZIP flap reconstruction with four zygomatic implants (D) for patient A.
A B C D
FIGURE FIGURE 4: Clinical images demonstrating maxillary SCC (A), resected specimen (B), and ablative defect with two endosseous implants and two zygomatic implants (C) for patient B. FIGURE 5: Final prosthetic result for patient B. A C B

non-smoker with minimal alcohol consumption. Following a biopsy for tissue diagnosis, relevant staging scans and discussion at the head and neck cancer MDT, it was recommended to proceed with primary surgical management of the tumour.

The patient underwent surgery in November 2022, which included a left hemimaxillectomy, left selective neck dissection, placement of two zygomatic implants on the left side and two dental endosseous implants in the anterior/right maxilla, and reconstruction of the defect with a left radial forearm free flap in a ZIP flap design. Once again, initial prosthesis impressions were taken by the maxillofacial prosthodontist during surgery. Following initial ICU care the patient recovered on the ward, with multidisciplinary rehabilitation

8: Orthopantomogram demonstrating position of zygomatic/dental implants for patient

involving speech and language therapy, clinical nutrition and physiotherapy. The final pathological diagnosis was a pT4 pN0 MX OSCC with clear margins of the left maxilla. The date of prosthesis insertion was 19 days after surgery prior to commencement of adjuvant treatment. Figures 4 and 5 show the primary tumour, resected specimen, ablative defect and final prosthesis. Figure 6 demonstrates the implant positioning on a postoperative orthopantomogram.

Patient C

This is an 79-year-old lady who initially presented with a non-healing oroantral fistula following previous dental extraction. Examination and biopsy under general anaesthesia revealed an underlying SCC. Again, following discussion at our head and neck MDT, primary surgery was recommended for management of this tumour.

At operation, this lady underwent a left maxillectomy, left selective neck dissection, placement of two zygomatic implants on the ipsilateral side, placement of two standard endosseous implants in the anterior maxilla, and reconstruction with a radial forearm free flap, utilising a ZIP flap technique. She had an uneventful peri-operative course including a pre-planned ICU stay and transfer to the ward. Final pathological diagnosis was pT4 pN0 MX OSCC with clear margins, and placement of her fixed dental prosthesis was 21 days postoperatively. Figure 7 illustrates the primary tumour, resected specimen, ablative defect and ZIP flap. Figure 8 shows the orthopantomogram demonstrating the position of the zygomatic/dental implants for patient C, while Figure 9 shows the final prosthetic result for this patient.

142 Journal of the Irish Dental Association | June/July 2024: Vol 70 (3) PEER-REVIEWED
FIGURE 7: Clinical images demonstrating left maxillary SCC (A), post-ablative defect (B), zygomatic/endosseous implants in situ (C), and ZIP flap (D) for patient C FIGURE 9: Final prosthetic result for patient C. FIGURE C. A B C D

ZIP flap technique

Surgical technique

The maxillary tumour is accessed and ablated in standard fashion, via a transoral approach or a Weber-Ferguson access procedure if required (Figure 10). A radial forearm free flap is raised, but not detached from its pedicle, in standard fashion concurrently. The maxillary defect is assessed and in particular the zygomatic arch/bone examined to ensure sufficient residual bone for zygomatic implant placement. In patient A, four zygomatic oncology implants (Southern Implants; South Africa) were placed: two on the left and two on the right. In patient B, two zygomatic implants were placed into the left zygoma, with two standard endosseous dental implants in the right anterior maxilla. Good primary stability was noted in all implants. The radial forearm flap is then disconnected from the arm and draped into the defect standard fashion. The pedicle is transferred via a soft tissue tunnel to the ipsilateral neck and a microvascular anastomosis of both artery and vein is performed standard fashion. The flap is then ‘inset’ using standard interrupted vicryl sutures to seal the oro-antral/nasal communication. The underlying zygomatic implants are then palpated and the flap carefully perforated in these areas to allow the implant abutments into the neo-oral cavity. This is done with sharp dissection through the skin and blunt dissection to the abutments themselves. A perforated polythene washer is then placed between the conical abutment protection caps and the skin of the flap to ensure that the implants do not disappear or get ‘swallowed’ underneath the flap during a phase of postoperative swelling.

Prosthodontic technique

Presurgical prosthodontic care involves meeting with the patient to discuss the prosthetic pathway, and making preliminary impressions to facilitate fabrication of implant surgical guides, a surgical prosthesis if indicated, custom trays, and a jaw relation record. The presurgical meeting is a critical interaction both from a technical point of view and, very importantly, from a human interactive point of view. If another family member can be present, it can be extremely beneficial in terms of information appreciation.

Unilateral zygomatic implants, by nature of their length, may be unstable, especially if there is no alveolus remaining. Utilisation of regular endosseous implants may benefit the stability in terms of creating tripodisation. Quad zygomatics may achieve their own bilateral stabilisation through early splinting. In these cases, there were some lower teeth, which were beneficial in terms of keying a surgical guide, and in terms of recording a jaw relation at the time of surgery. Upper and lower Essix retainers were made on the preoperative casts or on the diagnostic wax-up tooth position casts. The retainers were joined together with cold cure acrylic at the vertical dimension of occlusion. These joined retainers were then used as the guides for implant placement.

The prosthetic technique is to take the impression at the end of the operative procedure, when the flap has been installed and the microvascular anastomosis is complete. Custom tray and polyvinyl siloxane impression material are used. The zygomatic implants are splinted with light-cured acrylic intraoperatively to avoid any distortion at impression making. Multi-unit abutments are used to facilitate compensation for any angular discrepancies. After the impression, healing abutments are placed over the multi-unit abutments, and a jaw relation record is recorded against the abutments. If there are remaining teeth, these may facilitate the jaw relation. If there are no remaining teeth, but some remaining palate, the palate may facilitate the jaw relation. If it is anticipated that there will be no or minimal remaining maxilla post resection, a preoperative face marking is carried out with surgical marker, placing skin marking points at the glabellum and menton. A ruler measurement of vertical dimension of occlusion is recorded, and then applied at the end of the operation to record the jaw relation.

Postoperatively, the impression is boxed, beaded and poured in type IV stone. Healing abutments are placed on the multi-unit abutment analogues, and the intra-operative jaw relation record is used to mount the casts. A tooth position wax-up is placed on the cast as the guide for the laboratory fabrication of a titanium bar. When the bar is ready, teeth are applied in wax, and the bar is tried in to confirm fit, jaw relation, and aesthetics. It is processed and delivered in a timely manner. The goal is to provide a fixed restoration within about three weeks, to take advantage of the early stability of the implants. The early fixed restoration offers a splinting mechanism, which is essential for the zygomatic implants. Early restoration also facilitates the fabrication of very stable radiotherapy stents if required.

Discussion

Maxillary malignancy is most frequently confined to the alveolus and antral walls, with resultant ablative defects potentially impacting several aspects of the patient’s quality of life, including nutrition, speech, and body image.8 Relative to other sites in the oral cavity, these tumours may also be associated with a poorer prognosis, so timely diagnosis and treatment are essential to optimise patient outcomes.9

Prior to the advent of routine microsurgical reconstructive techniques and reliable osseointegrated implant technologies, the functional and aesthetic outcomes for patients undergoing midfacial oncologic resections were sub-optimal. Previously, prosthetic obturators were the mainstay of treatment in reconstructing maxillary defects. However, issues with patient comfort, retention and incomplete oronasal seal can negatively impact the patient’s quality of life. The performance of these prostheses could also be further impeded by the effects of adjuvant radiation therapy on adjacent bone and soft tissue. Despite this, obturation alone without another form of reconstruction may be, in selected cases, the most appropriate form of rehabilitation.

Free tissue transfer is now regarded as the ‘gold standard’ for reconstruction of head and neck ablative defects.10-12 For maxillary tumours, the choice of soft tissue only (e.g., radial forearm free flap) versus composite (e.g., fibula free flap) will depend on a variety of factors, including size of the defect, need for dental rehabilitation, and surgeon preference.10 In a Brown Class II maxillary defect, where the orbital rim and floor, and zygomatic arch, are preserved, the need for reconstruction using a composite (bone and soft tissue) free flap is questionable. In such cases, the priorities are safe tumour ablation, closure of oro-antral/nasal communication, and provision of teeth and commensurate soft tissue support. While obturation alone can address some of these problems, issues related to stability, lack of oronasal seal, and ongoing denture maintenance persist.

143 Journal of the Irish Dental Association | June/July 2024: Vol 70 (3) PEER-REVIEWED
FIGURE 10: Weber-Ferguson incision allowing for elevation of cheek flap to expose the anterior wall of the maxilla and permit access to maxillary tumours.7

The ZIP flap, described by Butterworth and Rogers in 2017, is a unique free flap design that seamlessly combines free tissue transfer with prosthodontic rehabilitation at the time of surgery. Perforation of the flap’s soft tissue with zygomatic implants at the time of surgery allows for immediate fabrication of a customised prosthesis. Multidisciplinary involvement of the maxillofacial prosthodontist is essential in terms of surgical planning, implant positioning, and facilitation of initial prosthesis impressions intra-operatively. Conventional zygomatic implants in non-oncology patients have been shown to have good survival rates and, more recently, evidence has emerged supporting the use of these implants in head and neck oncology patients.8,13,14

The key advantages of the ZIP flap are that it not only separates the oral cavity from the sinuses and/or the nose, but it also simultaneously provides a supra-structure for a definitive fixed prosthesis. Additionally, and crucially, patients are in a position to receive their prosthesis prior to commencement of adjuvant radiotherapy, which carries with it challenges such as trismus, mucositis, and tissue fibrosis. Where resection involves large portions of the anterior maxilla, consideration may be given to bony reconstruction with a composite flap (e.g., fibula free flap), to restore continuity of the premaxilla and prevent collapse of the upper lip post radiotherapy. The majority of patients with midface tumours have advanced-stage disease and therefore potential reduced overall survival. It is important, therefore, that the quality of life of this cohort is maximised in a timely fashion. ZIP flaps facilitate restoration of the dentition within three to four weeks of surgery.

Conclusion

The ZIP flap has been shown to be a safe and reliable method of reconstruction for post-ablative midface defects. Advantages of the technique are that it provides predictable closure of surgical defects and allows for immediate fabrication of a customised, fixed dental prosthesis. As a result, patients can achieve adequate oral rehabilitation prior to proceeding to adjuvant treatment, where required. With careful patient selection and planning, the technique may ultimately be regarded as the standard of care in the management of low-level maxillary tumours.

References

1. Brown JS, Shaw RJ. Reconstruction of the maxilla and midface: introducing a new classification. Lancet Oncol. 2010;11(10):1001-1008.

CPD questions

To claim CPD points, go to the MEMBERS’ SECTION of www.dentist.ie and answer the following questions:

1. What is the most commonly used classification system for maxillary defects?

l A. AJCC classification system

l B. Aramany classification system

l C. Cordeiro classification system

l D. Brown classification system

2. Okay DJ, Genden E, Buchbinder D, Urken M. Prosthodontic guidelines for surgical reconstruction of the maxilla: a classification system of defects. J Prosthet Dent. 2001;86(4):352-363.

3. Butterworth CJ, Rogers SN. The zygomatic implant perforated (ZIP) flap: a new technique for combined surgical reconstruction and rapid fixed dental rehabilitation following low-level maxillectomy. Int J Implant Dent. 2017;3(1):37.

4. Brown JS, Rogers SN, McNally DN, Boyle M. A modified classification for the maxillectomy defect. Head Neck. 2000;22(1):17-26.

5. American Joint Committee on Cancer. Lip and Oral Cavity. In: AJCC Cancer Staging Manual. 8th ed. New York, NY: Springer; 2017:79.

6. Halonen P, Jakobsson M, Heikinheimo O, Riska A, Gissler M, Pukkala E. Cancer risk of lichen planus: a cohort study of 13,100 women in Finland. Int J Cancer. 2018;142(1):1822.

7. AO Foundation. Weber Ferguson Approach. AO Surgery Reference. Accessed July 15, 2023.

https://surgeryreference.aofoundation.org/cmf/reconstruction/midface/approach/we ber-ferguson-approach

8. Butterworth CJ, Lowe D, Rogers SN. The zygomatic implant perforated (ZIP) flap reconstructive technique for the management of low-level maxillary malignancy –clinical & patient related outcomes on 35 consecutively treated patients. Head Neck. 2022;44(2):345-358.

9. Brown JS, Bekiroglu F, Shaw RJ, Woolgar JA, Rogers SN. Management of the neck and regional recurrence in squamous cell carcinoma of the maxillary alveolus and hard palate compared with other sites in the oral cavity. Head Neck. 2013;35(2):265-269.

10. Blackwell KE. Unsurpassed reliability of free flaps for head & neck reconstruction. Arch Otolaryngol Head Neck Surg. 1999;125(3):295-299.

11. Fang QG, Li ZN, Zhang X et al. Clinical reliability of radial forearm free flap in repair of buccal defects. World J Surg Onc. 2019;11(26).

12. Hanasono MM, Silva AK, Yu P, Skoracki RJ. A comprehensive algorithm for oncologic maxillary reconstruction. Plast Reconstr Surg. 2013;131(1):47-60.

13. Chrcanovic BR, Albrektsson T, Wennerberg A. Survival and complications of zygomatic implants: an updated systematic review. J Oral Maxillofac Surg. 2016;74(10):1949-1964.

14. Boyes-Varley JG, Howes DG, Davidge-Pitts KD, Brånemark I, McAlpine JA. A protocol for maxillary reconstruction following oncology resection using zygomatic implants. Int J Prosthodont. 2007;20(5):521-531.

2. The ZIP flap technique was described in:

l A. 2016

l B. 2017

l C. 2018

l D. 2019

3. Which of the following statements in regard to the benefits of the ZIP flap technique is false?

l A. Expedited prosthodontic rehabilitation

l B. Predictable closure of surgical defect with proven effectiveness

l C. Allows for rehabilitation of speech, swallow and nutrition prior to starting radiotherapy

l D. Prevents ‘snarling’ of the lip where large portions of the anterior maxilla are resected

144 Journal of the Irish Dental Association | June/July 2024: Vol 70 (3) PEER-REVIEWED
CPD

How to maximise dental attendance among older patients

Learning outcomes

At the conclusion of this paper, readers should be able to:

1. Describe the reasons why older adult patients who have been regular attendants may stop responding to recall appointments.

2. Discuss the social and systemic health circumstances related to the potential success of different approaches that can be used to contact missing patients and return them to regular follow-up care.

3. Develop a plan that may be useful in returning older adult patients to dental care.

Keywords: Frail elderly, aged, dental care for chronically ill.

Introduction

The populations of the Republic of Ireland (ROI) and Northern Ireland (NI) are getting older, and this trend is expected to continue in the coming decades. This change in demographics has many implications for oral healthcare. There are significant differences in health and disability by age, gender, and socioeconomic condition, and it is important to consider these social determinants of health in order to improve oral health outcomes.1

There is a significant disparity between the oral health requirements of communities and the accessibility, location, and nature of dental services offered. It is essential for oral healthcare systems to become more inclusive, accessible, and considerate, especially for socially disadvantaged and vulnerable groups.2 Factors that influence dental care utilisation include age, race, gender, socioeconomic status, monetary resources, dental insurance, health literacy, transportation, dental anxiety (fear), and access to care. 3-5

Data from the Economic and Social Research Institute (ESRI) of Ireland on utilisation of dental services in 2018 showed that it peaks between the ages of 35 and 45, and declines after that. There was a higher utilisation rate of Government-funded dental services by females than males in the younger age categories, up to approximately 70 years of age. However, thereafter male utilisation was equal to or slightly higher than that of females.6

For younger populations, financial issues have been documented as the primary barrier to dental care. Other problems may be getting time off from

Leonardo Marchini

work, especially for hourly workers in the lower socioeconomic group, and organising childcare. 7 Psychosocial factors are also important and might include cognitive overload and psychiatric barriers. Low health literacy may lead to neglect and deterioration of oral health, because that population does not value or understand the importance of oral healthcare and its relationship to general health and well-being.7

Broken medical appointments are different to broken dental appointments, because oral health deteriorates slowly, so postponing dental care does not usually bring noticeable consequences. Therefore, the severity of oral health problems is often perceived less critically when compared to an acute medical problem that prompts the patient to seek medical care. The consequences are that patients are less likely to use oral healthcare. In addition, in the current healthcare system, oral healthcare is much more difficult to access than medical care, especially for older adults.8

Notwithstanding all the above-mentioned barriers, many adults become regular dental patients and enjoy a period of relative oral health stability. However, when these patients get older, many new barriers arise, which influence regular dental attendance. These barriers include but are not limited to: financial issues; lack of dental insurance; lack of transportation; declining systemic health; mobility issues; and, the fact that older adults often perceive dental treatment as unnecessary.9 Patients who are edentulous and wearing complete dentures are much less likely to return for follow-up care, as they believe that once one receives a complete denture no further dental treatment is necessary.10

There is also a group of older adults who do not return for their regular dental appointments due to a sudden health event, such as a stroke, a broken hip, or memory loss. As these events are also important risk factors for rapid oral health deterioration, this article will focus on the reasons why older adult patients who have been regular attendants may stop responding to recall appointments. This article will also examine the social and systemic health circumstances related to the success of different approaches that can be used to contact missing patients, such as those who have failed recall appointments, and return them to regular follow-up care. In addition, the authors will discuss a plan that may be useful in returning these patients to regular dental care, as prevention and maintenance throughout the lifespan is considered an important component of oral care for all ageing populations.

Department of Preventive and Community Dentistry

The University of Iowa College of Dentistry and Dental Clinics

Iowa City, IA, USA

Ronald L. Ettinger Department of Prosthodontics

The University of Iowa College of Dentistry and Dental Clinics

Iowa City, IA, USA

Corresponding author: Leonardo Marchini, Professor and Chair, Department of Preventive and Community Dentistry, The University of Iowa College of Dentistry and Dental Clinics, Iowa City IA 52242, USA E: leonardo-marchini@uiowa.edu

145 Journal of the Irish Dental Association | June/July 2024: Vol 70 (3) CLINICAL FEATURE

FIGURE 1: This 70-year-old man returned after two years with significant changes in his dentition, having failed to attend several recall appointments. An oral examination found changes in his oral hygiene, including recurrent caries, and he was in pain from an abscess on an abutment tooth (#26), so that he was unable to wear his removable partial denture (RPD), which included anterior teeth. The inability to wear his RPD with anterior teeth was a factor that motivated him to return for care.

Reasons why older adult patients who have been regular attendants may stop responding to recall appointments

Socioeconomic factors

Ireland has a mixed public/private healthcare system. People with medical cards or general practitioner (GP) cards get subsidised or free healthcare. People without these cards have to pay out of pocket for healthcare. The Irish population uses fewer primary care health services and relies more heavily on acute in-patient care than other countries, which contributes to its high percapita healthcare spending.11

The cost of oral healthcare in Ireland is mainly out of pocket. Among the public services, the Dental Treatment Services Scheme (DTSS) is the most comprehensive dental care programme in Ireland for adults with a medical card. Eligibility for a medical card, which is required to participate in the DTSS, is determined primarily by income, with higher income thresholds for those over 70 years old. It covers one free dental check-up, scale and polish, two fillings, denture repairs, and one root canal treatment per year, as well as extractions. For most other treatments, prior approval is required from the Health Service Executive (HSE).12,13 Workers who pay social insurance are entitled to one free dental check-up per year and a contribution towards the cost of scale and polish at private dental practices that have contracts with the Department of Social Protection, but must pay for any additional treatments. Private dental practices must follow a code of conduct set by the Dental Council, and patients can claim tax relief on certain specialist dental treatments.12,13 However, “the number of public contracted dentists in the HSE has declined by almost a quarter (23%) in the past 15 years”.14 In general, older adults need to pay out of pocket for many dental services, including denture fabrication. Considering the high rate of denture utilisation, this might become a significant barrier for many older adults, especially as they age.15 Previous studies have reported that financial reasons for postponing dental visits were associated with low income, persons without insurance, and increasing age.16

Systemic health and caregivers

One-third of the ROI population aged 65 or older is reported to have a longstanding health-related disability, and this increases to 50% for older adults in

Northern Ireland.1 Most common disabilities among older adults are related to: sensory losses; mobility related to systemic diseases such as arthritis, stroke, or other cardiovascular diseases; and, cognitive impairment. Persons with such disabilities need help with transportation and accessing dental offices, and are dependent on their caregivers. Changes in their health so that they feel too unwell to keep their dental appointment, or in the health of their caregivers, may become a significant barrier to returning for any dental appointments. Possible barriers for caregivers to bring the patient to the dental office may include having trouble getting off work, not being able to find someone to help with childcare, or lacking transportation.7

Older adults are also caregivers for their significant others, and this caregiving activity might preclude them from getting enough rest, having time to exercise, and seeking regular healthcare. Caregivers frequently do not have enough time to recuperate from illness, forget to take their prescription medications, and can also miss healthcare appointments.17 For instance, a patient who had been a regular attender for 15 years did not respond to recall messages. The patient returned two years later with significant changes in his dentition, which included abundant plaque and calculus, recurrent caries, and pain from an abscess on an abutment tooth supporting a removable partial denture (Figure 1). While discussing his dental problems, the patient reported that he had been caring for his wife, who was terminally ill and was currently in the intensive care unit (ICU) on life support. He was in conflict with his daughter who did not want him to remove the life support for his wife, although his wife no longer had any brain function. He asked us for advice. After some discussion and a root canal treatment of tooth #26 (FDI notation), we referred him to a palliative care physician.

Communication and health literacy

Health literacy is the ability to comprehend and use health information effectively to make informed decisions about one’s well-being. It involves understanding medical instructions, navigating the healthcare system, and actively participating in one’s own healthcare.

According to the National Assessment of Adult Literacy (NAAL), 68% of older adults had problems interpreting numerical figures, 71% had problems reading and 80% were challenged when filling in forms or charts.18 Additionally, it has been found that lower health literacy is associated with poorer health, stroke, poorer self-care, poorer medication adherence, reduced use of preventive services, increased hospitalisation, and greater healthcare costs. In fact, persons with limited health literacy incur medical expenses that are up to four times greater than persons with adequate literacy skills. Persons with poor oral health literacy are more likely to miss dental appointments and also have an inability to understand scheduling systems.19

Different approaches for contacting patients in order to return them to regular care

Intervention programmes to improve oral health literacy have shown that attendance at the dental office can be improved and failures to attend scheduled appointments can be reduced.5 Although the majority of older adults have some natural teeth, those persons who have been edentulous for many years still believe that dentures should last a lifetime. Many of these persons who wear complete dentures do not perceive a need for dental care, unless they have acute pain or their dentures have become very ill-fitting, broken, or are missing front teeth.10 However, denture wearers should have an annual check-up with their dentist to

146 Journal of the Irish Dental Association | June/July 2024: Vol 70 (3)
CLINICAL FEATURE

ensure the optimal fit and functionality of their dentures. These appointments should also allow the clinician to assess the presence of any oral lesions and/or the amount of bone loss. This assessment would permit the patient to receive early diagnosis and appropriate care.

The employment of case managers (Figure 2) has also shown evidence of reducing the number of broken or missed appointments by providing customised interventions for each patient, considering their individual reasons for failing appointments. Another way to improve attendance is to reduce perceived disrespect or discrimination, which might be related to long wait times or lack of reflective listening by the clinical and administrative staff.20

As patients age, their ability to drive or navigate public transportation may become compromised, which may limit their ability to attend the dental office. Discussing transportation alternatives with older patients and their families may be one way to reduce missed and broken appointments. Alternative transportation methods include helping the patient to understand the services available through public transport companies, such as the travel assistance scheme, the JAM card and app, and others. Individuals with cognitive deficits, such as autism or early

dementia, which involve communication barriers, can use the JAM card or an app in their mobile devices to indicate that they may require additional time in a nonverbal way. This card/app is particularly helpful in settings such as public transport, retail, or any healthcare environment.

Another common barrier associated with systemic health problems may be difficulty in accessing a dental office due to architectural barriers (Figure 3), such as lack of ramps, lifts, or appropriate width of doors and hallways for wheelchairs (Figure 4).

How to communicate the need for regular dental care to older adults

There is a need to improve dental appointment-keeping behaviour with innovative patient-centred interventions, especially for frail older adults. For these patients, routine dental appointments will not be perceived as having priority, providing the patient is not experiencing dental pain, even though he/she may have caries or periodontal disease. Principles from behavioural economics, which combines economics and psychology to understand how and why people behave the way they do, can help to design novel solutions to decrease the number of missed and broken appointments.7

Dental office staff should utilise words that convey the importance of procedures when texting the patient or sending reminder cards for routine dental appointments. For example, words such as “recall appointments” or “dental cleanings” should be replaced by “oral health examinations”. This wording reemphasises the importance of the appointment, from a routine housekeeping procedure, i.e., cleaning, to a health-related need. A helpful protocol is to develop an automated text/email system to the patient/caregiver’s cell phone/computer at one week before the appointment as well as 24 hours before the appointment. The dental office communication should emphasise the benefits of constant oral health vigilance, especially for patients who have suffered a major health event that precludes them from keeping their own oral hygiene routines, such as a stroke (Figure 5), depression, or dementia. The consequences of not keeping these appointments include the risk of rapid oral health deterioration with rampant caries and significant bone loss, especially for frail older adults. Rapid oral health deterioration can have devastating implications for the patient’s oral and systemic health.

147 Journal of the Irish Dental Association | June/July 2024: Vol 70 (3) CLINICAL FEATURE
FIGURE 2: This 71-year-old man who is a wheelchair user due to childhood polio, is seen here working with a case manager to develop a plan for accommodating his transport needs, as he lives in a rural area. His plan includes co-ordinating his dental appointments on days and at times when his transportation service is available to bring him to the clinic and take him back home. FIGURE 3: The same patient described in Figure 2 is now photographed showing how a building that only has stairs without ramps or lifts can be a potent barrier for patients using wheelchairs. FIGURE 4: The same patient from the previous two figures is now photographed showing that ramps and automatic door openers make a building more accessible, and allow a patient who uses a wheelchair to be more independent.

CLINICAL FEATURE

FIGURE 5: This 89-year-old widow is now living in a nursing home because of multiple health problems, including dementia, mental health issues, cardiac problems, and a stroke. She had not seen her dentist since her stroke. However, the nursing home staff noticed that she was not eating properly and was losing weight. An oral examination revealed that the right side of her mouth had not been cleaned, as she had lost the perception of her right side due to the stroke.

Teledentistry

Another methodology for communicating with the patient or their caregiver is the use of teledentistry, which became important during the Covid-19 epidemic. However, it does require prior communication and co-operation by the patient or their caregivers to schedule and accept a conference call. During the conference call, many aspects of the patient’s health history and daily medication usage can be reviewed, which can prepare the dentist for a more productive use of time during their future in-office visit. For example, if a patient now needs premedication, this need can be identified during the teleconference, and the medication prescribed and taken prior to the in-office visit. For frail older adult patients who cannot tolerate long procedures, a teleconference can help to reduce the length of the in-office visit, which may be a significant barrier for these patients returning for regular dental care. Also, teledentistry has been shown to be useful for patients experiencing orofacial pain or for the diagnosis of oral lesions.21

Conclusions

The most common unmet healthcare need among older adults is oral healthcare. The greatest barrier to dental care for younger populations is the cost. For older adults, the barriers become more complex, and include lack of availability of and access to affordable care for many. There are multiple ways to improve older adults’ attendance at the dental office, including the employment of case managers, reducing the patients’ perception of disrespect, and using newer technologies, such as automated texts/emails with thoughtful language as reminders for dental appointments. Teledentistry can also be used, especially for frail and functionally dependent older adults, to improve the efficiency of inperson appointments.

References

1. Institute of Public Health. Ageing and Public Health – an overview of key statistics in Ireland and Northern Ireland. Dublin; 2020. https://publichealth.ie/sites/default/files/2023-02/wpcontent/uploads/2020/04/20200416-AGEING-PUBLIC-HEALTH-MAIN.pdf

2. Watt RG, Daly B, Allison P, et al. Ending the neglect of global oral health: time for radical action. Lancet. 2019;394(10194):261-72.

3. Treloar T, Bishop SS, Dodd V, Shaddox LM. Evaluating true barriers to dental care for patients with periodontal disease. Int J Dent Oral Health. 2021;7(2):10.

4. Dobros K, Hajto-Bryk J, Wnek A, Zarzecka J, Rzepka D. The level of dental anxiety and dental status in adult patients. J Int Oral Health. 2014;6(3):11-14.

5. Baskaradoss JK. The association between oral health literacy and missed dental appointments. J Am Dent Assoc. 2016;147(11):867-874.

6. Henry E, Brick A, Keegan C. Utilisation of publicly financed dental and optical services in Ireland – baseline analysis for the Hippocrates Model. ESRI Survey and Statistical Reports Series. January 29, 2021. https://www.esri.ie/publications/utilisation-ofpublicly-financed-dental-and-optical-services-in-ireland-baseline

7. Wang TT, Mehta H, Myers D, Uberoi V. Applying behavioral economics to reduce broken dental appointments. J Am Dent Assoc. 2021;152(1):3-7.

8. Vujicic M, Buchmueller T, Klein R. Dental care presents the highest level of financial barriers, compared to other types of health care services. Health Aff (Millwood) 2016;35(12):2176-2182.

9. Kuthy RA, Strayer MS, Caswell RJ. Determinants of dental user groups among an elderly, low-income population. Health Serv Res. 1996;30(6):809-825.

10. Ettinger RL. An evaluation of the attitudes of a group of elderly edentulous patients to dentists, dentures, and dentistry. Dent Pract Dent Rec. 1971;22(3):85-91.

11. May P, Normand C, Matthews S, et al. Projecting future health and service use among older people in Ireland: an overview of a dynamic microsimulation model in The Irish Longitudinal Study on Ageing (TILDA). HRB Open Res. 2022;5:21.

12. McAuliffe Ú, Whelton H, Harding M, Burke S. ‘Toothless’ – the absence of political priority for oral health: a case study of Ireland 1994-2021. BMC Oral Health 2022;22(1):95.

13. Citizens Information. Dental Services. 2022. https://www.citizensinformation.ie/en/health/health-services/dental-aural-andoptical-services/dental-services/. Accessed May 1, 2023.

14. Hourihan F, Robins C, Rymer W. Opening Statement to Oireachtas Health Committee. In: Committee OH, editor. Dublin, 2023.

15. Sheehan A, McGarrigle C, O’Connell B. Oral Health and Wellbeing in Older Adults in Ireland. Dublin; 2017:42. https://tilda.tcd.ie/publications/reports/pdf/Report_OralHealth.pdf

16. Aarabi G, Valdez R, Spinler K, et al. Determinants of postponed dental visits due to costs: evidence from the Survey of Health, Ageing, and Retirement in Germany. Int J Environ Res Public Health. 2019;16(18):3344.

17. Burton LC, Newsom JT, Schulz R, Hirsch CH, German PS. Preventive health behaviors among spousal caregivers. Prev Med. 1997;26(2):162-169.

18. Kutner M, Greenberg E, Jin Y, Paulsen C. Health Literacy of America’s Adults: results from the 2003 National Assessment of Adult Literacy. National Center for Education Statistics 2006-483; 2006. https://nces.ed.gov/pubsearch/pubsinfo.asp?pubid=2006483#:~:text=Health%20liter acy%20was%20reported%20using,had%20Below%20Basic%20health%20literacy

19. Holtzman JS, Atchison KA, Gironda MW, Radbod R, Gornbein J. The association between oral health literacy and failed appointments in adults attending a universitybased general dental clinic. Community Dent Oral Epidemiol. 2014;42(3):263-270.

20. Lapidos A, Shaefer HL, Gwozdek A. Toward a better understanding of dental appointment-keeping behavior. Community Dent Oral Epidemiol. 2016;44(1):85-91.

21. Bavarian R, Pharr CA, Handa S, Shaefer J, Keith DA. The utility of telemedicine in orofacial pain: guidelines for examination and a retrospective review at a hospital-based practice. J Oral Rehabil. 2022;49(8):778-787.

148 Journal of the Irish Dental Association | June/July 2024: Vol 70 (3)

Importance of oral health in mental health disorders: an updated review

Skallevold HE, Rokaya N, Wongsirichat N, Rokaya D.

Background: Mental disorders are indeed an expanding threat, which requires raised awareness, education, prevention, and treatment initiatives nationally and globally. This is an updated review on the relationships between oral health and mental health disorders, and the importance of oral health in mental health disorders.

Method: A literature search was done regarding mental disorders and oral health approaches in Google Scholar and PubMed from 1995 until 2023. All the English-language papers were evaluated based on the inclusion criteria. Publications included original research papers, review articles and book chapters.

Results: Common mental disorders include depression, anxiety, bipolar disorder, schizophrenia, dementia, and alcohol and drug use disorders. Conclusion: There is a complex relationship between mental disorders and oral diseases. Various oral health problems are associated with mental health problems. The interplay of oral health and mental disorders involves dysregulated microbiome, translocated bacteria, and systemic inflammation, among others. Mental health nurses, physicians and dental professionals should be involved in the oral healthcare of mental health disorder patients. Therefore, a multidisciplinary team should be involved in the care of mental health disorders, and they should consider oral healthcare as an essential part of their care for patients with mental health disorders. Future investigations should strive to elucidate the exact biological relationships, to develop new directions for treatment.

J Oral Biol Craniofac Res. 2023;13(5):544-552.

Occupational ergonomics and related musculoskeletal disorders among dentists: a systematic review

Soo SY, Ang WS, Chong CH, Tew IM, Yahya NA.

Background: There is an increasing concern about musculoskeletal disorders (MSDs) resulting from occupational health hazards among dentists. Dentists who are susceptible to occupational health hazards could develop cumulative trauma disorders, leading to absenteeism from work, loss of productivity and performance, or even long-term disability.

Objective: This study aims to determine the prevalence of musculoskeletal disorders among dentists, explore the risk factors, and identify the ergonomic preventive measures for dental professionals.

Methods: Articles published between 2008 and 2020 were searched in scientific databases (MEDLINE, PubMed, Scopus and Cochrane Library). The Critical Appraisal Skills Programme Systematic Review Checklist was used to assess the quality of the studies.

Results: Eighteen studies were found to be suitable in the final review. Relevant data was extracted and summarised from the included studies. The annual prevalence of musculoskeletal disorders in any body site ranged between 68% and 100%. The most predominant regions for musculoskeletal disorders among dental professionals were identified to be the lower back

(29% to 94.6%), shoulder (25% to 92.7%), and neck (26% to 92%). The most frequently reported risk factors of MSDs were the individual characteristic female gender (57.1%), followed by awkward working postures (50%), long working experience (50%), and being dental specialists (42.9%). Several preventive measures were identified as the most effective ways to prevent MSDs, including the use of magnification (40%) and regular physical activity (40%).

Conclusions: This review reported a high prevalence of MSDs among dentists. It critically updates and adds to the latest evidence on occupational ergonomics among dentists.

Work. 2023;74(2):469-476.

Remineralization effect of three different agents on initial caries and erosive lesions: a micro-computed tomography and scanning electron microscopy analysis

Akküç S, Duruk G, Kele A.

Background: This study aimed to investigate the remineralisation efficiency of Sensodyne Promine containing sodium fluoride (NaF), GC Tooth Mousse containing CPP-ACP, and Agarta herbal toothpaste on initial caries and erosion using micro-computed tomography (CT) and scanning electron microscopy (SEM).

Methods: Forty-five third molar teeth for micro-CT were divided into three main groups after initial scans (T1) were completed. Artificial caries lesions were created with the demineralisation cycle (group 1, n=15) and artificial erosion lesions were created with orange juice (group 2, n=15) and cola (group 3, n=15), and second scans (T2) were performed. The groups were divided into three subgroups within themselves. Sensodyne Promine toothpaste (subgroup 1a, 2a, 3a), GC Tooth Mousse topical cream (subgroup 1b, 2b, 3b), and Agarta herbal toothpaste (subgroup 1c, 2c, 3c) were applied using soft-tipped brushes for two minutes, twice per day, for 15 days, and then a third scan (T3) was performed. Mineral density, surface area, and lesion volume and depth were calculated using micro-CT. Changes in the surface morphology of the teeth were examined using SEM in 13 samples representing each group, subgroup, and healthy enamel. In the analysis of the data obtained from the scans performed at three different times (T1, T2, T3), one-way analysis of variance (ANOVA) with the posthoc Tukey test, repeated measures ANOVA with the post-hoc Bonferroni test, and paired sample t-test analyses were used.

Results: All three agents caused a statistically significant increase in mineral density, and a decrease in surface area and lesion volume and depth (p<0.05). There was no statistically significant difference between the groups in remineralisation efficiency (p>0.05). A statistically significant difference was found between the groups regarding the mineral density of the tissue that increased after remineralisation (NaF > CPP-ACP > He; p<0.05).

Conclusion: The remineralisation efficacy of herbal toothpaste as an alternative to NaF and CPP-ACP was found to be successful.

BMC Oral Health. 2023;23(1):106.

149 Journal of the Irish Dental Association | June/July 2024: Vol 70 (3)
NEW DENTAL SCIENCE

Evaluation of the efficacy of inter-dental brush and dental floss for peri-implant mucositis: a crossover randomized clinical trial

Bevilacqua L, Lorenzon MG, Bjedov M, Costantinides F, Angerame D, Maglione M.

Objectives: To evaluate the most effective method for mechanical interdental plaque removal between inter-dental brushes (IDBs) and dental floss (DF), in addition to toothbrushing in patients affected by peri-implant mucositis (PIM); to identify possible factors related to the patient or to the single implant-supported element that could influence plaque accumulation and inflammation of peri-implant tissues.

Methods: Forty patients with PIM were recruited. They were randomly assigned to two different groups depending on inter-dental device used (IDB

or DF). At baseline (T0), interproximal area (IA), interproximal emergence angle of the implant crown (A°) and manual dexterity (evaluated with Purdue Pegboard) were recorded. At 14 days (T1), the inter-dental cleaning devices were inverted between groups. After 14 days (T2), the Plaque Index (PI) and Gingival Index (GI) were recorded. A questionnaire was submitted to patients for the analysis of preferences at T0, T1 and T2.

Results: Both inter-dental cleaning devices were effective in reducing PI and GI in the inter-dental area after 14 days of use. GI reduction was influenced by manual dexterity of the dominant hand. No significant differences were found for PI and GI at the variation of IA and A°.

Conclusion: IDB was the most effective method for inter-dental plaque removal in all subjects regardless of their manual dexterity. DF seems to be more effective than IDB only in subjects with good dexterity.

Int J Dent Hyg. Published online March 15, 2024.

Quiz answers

Questions on page 138.

1. A thorough history with a meaningful medical history is required, which could also include a temporomandibular joint (TMJ) questionnaire and an Epworth Sleepiness Scale to screen for obstructive sleep apnoea (OSA). Carry out a full clinical exam of the joints with load testing and stabilisation tests if required, and full muscle palpation of the muscles of mastication. Diagnostic radiography in 2D or 3D can be done if indicated, or if any degenerative joint disease (DJD) is suspected.

2. Expansion of the maxilla is age and sex related. The older the patient, the more likely it is that they will need mini screws to facilitate expansion, and in males over 21 a surgical facilitation may be required. This is also based on the amount of expansion needed, the stage of sutural maturation, midpalatal bone thickness and the shape of the arch – whether more expansion is needed anteriorly or posteriorly, or in both areas of the palate.

3. This patient will require TMJ assessment and potential stabilisation before orthodontic treatment, and also investigation for OSA. Orthodontic treatment will require expansion to correct a severe transverse discrepancy. This may require the use of mini screws and orthodontic appliances with or without orthognathic surgery to obtain optimal functional occlusion and aesthetics.

150 Journal of the Irish Dental Association | June/July 2024: Vol 70 (3)
NEW DENTAL SCIENCE

Corridor consults

A collective mind could be considered greater than the sum of its parts, and naturally, it is appropriate to consult. But it is risky to informally share an opinion without seeing the patient and knowing all the facts, especially if you later discover that the advice was flawed.

It is considered good practice to reach out to colleagues for advice or assistance if you are unsure of a diagnosis or a treatment plan. This is normally done formally by referring a patient to a specialist. This carries little risk in itself to any of the involved parties and is of great benefit to the referring practitioner and the patient. It is, however, important to be mindful of the fact that the specialist colleague can only make an assessment based on the quality of the information they are provided with. Incomplete or poor records will impact on their ability to review the case fully or give meaningful advice.

It can be difficult for the requesting practitioner to know exactly how much information is needed and, when we are unsure of a case, to know what diagnostic information we are missing. There are also times where brevity is a necessity, perhaps due to time constraints with the patient, or of our colleague. These brief interactions can carry significant risk if all of the information is not available.

The patient

The person most at risk in any passing or ‘corridor’ consultation is the patient. Incomplete or incorrect information can lead to an incomplete or incorrect diagnosis, causing the treatment to commence along the wrong path, which is often not identified until the patient suffers a poor outcome. This recognition often occurs when the patient has pain, or their treatment has failed, and may be picked up by an independent third party. Regretfully, many practitioners in this third-party role have been known to be highly critical of the treating practitioner, leading to complaints to the regulator and legal claims.

The practitioner

Ultimately, you are responsible for the care you provide, regardless of who ‘told you to’, so advice outside of formal consultations/formally requested desktop reviews can carry with it significant risk. Should the patient complain, the complaint will be to you or about you. If the matter goes in front of the regulator, they will be assessing the steps you took and the treatment you provided, regardless of who directed you to do so. The manner in which you approached the colleague could also be criticised.

The colleague giving advice

While you do not have the same risks as your colleague, as ultimately the treatment provider must provide the care that they see fit, consultations in passing are not without risk for the provider of the advice. Be mindful of incomplete information, perhaps positioned to bias your thinking or solicit a preferred response from you, which may differ from what you would give if you had the whole picture. Potential reputational damage is a high risk for those providing informal information, perhaps even in a public arena, if your advice is publicly shown to be inaccurate/incorrect.

Social media

Informal ‘Facebook-style’ calls for diagnosis and treatment plans from colleagues en masse are frowned upon by the regulator as being a poorly thought out approach for advice when provided by a practitioner to support their thought process around treatment. This particularly holds true if the ‘full picture’ was not provided in the request for advice.

There are also further risks to creating or responding to the ‘Hello brains trust, what do you think about…’ type of post. This is largely because you cannot control and predict the comments made. Should a colleague (or two) engage in some unprofessional discussion on the thread, and you are the poster, then it is prudent to remove the thread immediately. If, however, you have provided comment or advice, and then the thread takes an unprofessional turn, it is prudent to contact one of the page administrators to have the post managed or removed. This advice is given as images of these social media ‘bust-ups’ often make their way in front of the regulator, and you would not want your name associated with unprofessional behaviour.

Summary

Dr Annalene Weston

Seeking advice from a colleague is both prudent and sensible, and can lead to professional and personal growth as well as a potentially better outcome for the patient. The critical issue is to ensure that this approach is made more formally, with the requisite and necessary information available to the colleague to ensure the best quality advice and the best outcome for the patient.

We must always conduct ourselves professionally when interacting with colleagues, including on social media, and be aware of the overarching and underpinning guidance around this.

151 Journal of the Irish Dental Association | June/July 2024: Vol 70 (3) PRACTICE MANAGEMENT

SITUATIONS WANTED

Implantologist with MSc qualification and special interest in treating patients with TMJ disorders, looking for sessional work. Interested parties please forward details to claire@aikenpr.com

SITUATIONS VACANT

Associates

Dental associate required – immediate start south Dublin. Modern clinic, excellent terms and flexible hours. Experience favourable but not essential. Apply to niamh@midentalcare.ie

Permanent part-time associate required for busy, modern practice only 30 minutes south of Dublin. Flexible days and hours available. Contact niallmccartan@hotmail.com

Dental associate required three to four days per week for our Newbridge practice. Cerec, fully digitised. Inhalational and IV sedation mentoring available. Reply with CV to james@theclinicnaas.ie

Associate required, option of full- or part-time. South Co. Dublin near M50/N11. Very busy, independent, private practice with great support staff and friendly atmosphere. Good remuneration. New equipment, digital practice, IO scanner, parking, etc. Contact jobs@ballybrackdental.ie

Co. Galway: Part-time position for associate in modern dental clinic, fully digital, OPG, IO scanner. Private. Excellent support staff. Contact drrothwelldental@gmail.com

Classified advertisements are accepted via the IDA website –www.dentist.ie – only, and must be pre-paid. The deadline for receipt of advertisements for inclusion in the next edition is Friday, July 12, 2024. Classified ads placed in the Journal are also published on www.dentist.ie for 12 weeks.

Please note that all prices are inclusive of VAT.

Advert size Members Non-members up to 25 words ¤135.30 ¤270.60 26 to 40 words ¤161.70 ¤330.65

The maximum number of words for classified ads is 40.

If the advert exceeds 40 words, then please contact: Think Media, The Malthouse, 537 North Circular Road, Dublin 1. Tel: 01-856 1166 Fax: 01-856 1169 Email: paul@thinkmedia.ie

Please note that all classified adverts MUST come under one of the following headings:

4 Situations wanted 4 Situations vacant

4 Practices for sale/to let 4 Practices wanted

4 Equipment for sale/to let Classified adverts must not be of a commercial nature. Commercial adverts can be arranged by contacting Paul O’Grady at Think Media.

West Dublin: Ambitious, dynamic, flexible, experienced associate required. Immediate start. Self-employed status. Busy modern practice. Well-equipped. Computerised. Knowledgeable supportive staff. Excellent figures. Flexibility for the most suitable candidate. Email niall@innovativedental.com

Part/full-time associate required for busy and modern practice in Cavan Town, fully supported by our friendly and experienced team. CV to churchstdental@gmail.com

Waterford City: Experienced dental associate required. Full-time position available in private-only clinic. Special interest welcomed. Excellent backroom support. Visiting periodontist, orthodontist, oral surgeon, implantology. New surgery, digital scanner, CBCT. Please send CV to bpm.gmedical@gmail.com

Part/full-time associate required for busy and modern practice in Coole, fully supported by our friendly and experienced team. Contact sysakroman@gmail.com

Cork: Dental associate required for busy three-surgery practice in Youghal. Longestablished family practice. Recently refurbished. Fully digital, scanner, hygienist and excellent support staff. Please email CV to youghaldentist@gmail.com

Experienced associate dentist required for our busy and modern private practice, Renmore Dental in Galway City. Fully digital with intraoral scanner, OPG/CBCT and hygienist team. Please email CV to office@renmoredental.ie

Part/full-time dental associate required for a busy, fully private dental practice in Dublin. Friendly and experienced support staff. Specialists available on site, hygienists present, digital scanner, mentoring available if required. Excellent remuneration. Flexible working days/hours. Contact dentalassociatejobdublin@gmail.com

Dental associate required in Newbridge. Flexible hours available in private, wellestablished clinic. Be part of a great multidisciplinary team focusing on general dentistry, orthodontics and implants. Excellent backroom support. Cerec, scanner, CBCT, special interest welcomed. Please send CV to southeastdental46@gmail.com

Newcastle Dental, Dublin West is seeking an associate dentist to join our practice. Full/part-time. Established 30 years ago, the practice has a solid private patient base. Modern surgeries, OPG/CBCT scanners, working with a strong team. Contact rathcooledental@gmail.com

Swords, Co. Dublin. Excellent opportunity for full/part-time associate dentist, minimum two years’ experience, to join our team of three dentists, hygienist, clinical dental technician. Great support staff, digital, EXACT OPG. CV to info@boroimhedentalpractice.ie

Full/part-time associate wanted to join a long-established, newly refurbished dental practice in Shankill, Dublin. Digital x-rays, TRIOS scanner, friendly staff and patients (private and PRSI). Email CV to shankillvillagedental@gmail.com

Associate required to join our team at Peter Doyle’s Dental practice. A busy and wellestablished private book. High earning opportunity. Excellent, friendly support staff and facilities. Must be Irish Dental Council registered. Email gerryjohnstreet@gmail.com

Dental associate (full-part-time) required in Waterford. Busy, modern, private practice in a fabulous seaside location with full book. Fully computerised, modern surgery with excellent support team. Excellent working conditions – no late evenings, high remuneration. Contact cusackdental@gmail.com

Co Cork: Experienced, full-time, minimum four days, associate position available from June. Health issues forcing retirement. Busy, modern, long-established general practice, good figures, well equipped, computerised with knowledgeable supportive staff. Contact niall@innovativedental.com

Cork city suburb. Dental associate required, two days with potential for more. OPG/scanner and fully computerised. Contact thedentist2@gmail.com

152 Journal of the Irish Dental Association | June/July 2024: Vol 70 (3)
CLASSIFIEDS

Dental associate required, one to two days, for modern, relaxed, friendly, fully digital, computerised practice in Kilkenny. OPG, orthodontics, implants, hygienist. Irish Dental Council registration essential. Excellent remuneration. Contact practicemanager2024@gmail.com

Full-time or part-time dental associate position available. Flexible shifts available in fully private, modern, and multi-award-winning dental clinic. Multidisciplinary supportive and friendly team, mentoring available. CPD provided. Experienced support staff in very busy established practice. Contact dentalassociatepositiondublin@gmail.com

Associate dentist position available three days per week. Private practice in Limerick city centre. Own surgery with brand new equipment. Excellent support staff. Experience essential in all areas of general dentistry. Apply with CV if interested. Contact jacqueline.obrien89@gmail.com

Associate required, option of full- or part-time. South Co. Dublin near M50/N11. Very busy, independent, private practice with great support staff and friendly atmosphere. Good remuneration. New equipment, digital practice, IO scanner, parking, etc. Contact jobs@ballybrackdental.ie

Associate dentist wanted for long-established, busy dental practice in Arklow to replace departing colleague. PRSI and private. Full- or part-time. Contact: louisdevereux@msn.com

Dental associate required part-time in modern, busy south east practice. Excellent support staff with friendly atmosphere. Please reply with CV to bmmoleary@gmail.com

Smiles Dental Wexford is looking for an associate dentist to join their well-established practice. We can offer an established diary of patients, a supportive and welcoming team, and great earning potential. Open to discussing days and hours – come and chat to us today! Contact sophie.collier@bupadentalcare.co.uk

Smiles Dental Dun Laoghaire is looking to recruit an associate dentist. We have an excellent opportunity offering full- or part-time with a book of patients ready for the associate to take on board – excellent team support and clinical support for the associate that joins the team! Contact sophie.collier@bupadentalcare.co.uk

Begley Dental is seeking a part-time associate. Very modern surgery, fully computerised, digital X-ray, OPG, etc. Experience an advantage. Reply with CV and references to fergalbegley@outlook.ie

Associate general dentist required for well-established, busy dental practice in Celbridge. Excellent support team. Digital X-ray, OPG. Please forward CV and any questions regarding the position to manager@oreillysdentalpractice.ie

Dental associate required, flexible option of full- or part-time. Very busy, modern, private practice with friendly and experienced support staff. Excellent remuneration. Specialists and hygienists working on site. New equipment, digital practice, IO scanner and parking available. Contact northdublindentalassociate@gmail.com

Associate position available in West Cork. Modern, computerised surgery. Digital Xrays. Established practice. Full support provided. Call 086-1727 064 or Email harrycogswell7@gmail.com

Associate position available in our established private practice in D14. Excellent remuneration, digital, CEREC/iTero, etc., with a full book of long-term patients and great new patient flow also. Hygienists and specialists on site with excellent nursing support. Contact sarahjane@dundrumdentalsurgery.ie

Dental associate position available in Co. Tipperary. Busy, well-established, thriving practice. Computerised, digital X-ray. Modern, fully-equipped surgery with excellent support team. Contact info@premierdental.ie

Part-time dental associate position available in Athlone. Modern computerised dental practice with IO scanner and CBCT. Hygienist and excellent support staff. Contact info@athlonedental.ie

Full-time associate general dental surgeon required to join a leading, fully private, modern, digital private practice in Dublin city centre. Well-equipped with excellent support team. Contact moderndentalclinicdublin@gmail.com

Dentists

Rogers Dental. General dentist required for busy four-surgery practice. Fully private. Flexibility in days and hours. Digital OPG, IO scanner, hygienist, endodontist. Friendly, experienced staff in the sunny south east! Contact info@rogersdental.ie

Wexford Town. Bride Place Dental. Maternity leave position, starting July, flexible days up to four/week. Modern, fully digital practice with scanner, excellent support team. Relaxed and friendly working environment, with excellent remuneration on offer. Contact ailbhelouisemurphy@gmail.com

Dentist required for two-dentist surgery in Lusk, Co. Dublin. Part-time, could progress to full-time. For further details please call 085-857 2279.

Owl Dental is seeking an experienced dentist to join our thriving practice in Wexford Town. Competitive compensation, supportive team, and growth opportunities. Enjoy a fulfilling career in a modern facility, with a scanner and a very friendly patient base. Contact owldentaljobs@gmail.com

Family-owned dental practice in South Australia seeking experienced dentists, dental technicians and prosthetists. As an approved standard business sponsor, we will support international candidates relocating to Australia. Small, friendly team, seaside location, 15 minutes from CBD. Contact victoria@mddgrange.com.au

Dentist required for four days per week in busy north Dublin general practice. Digital x-rays, OPG and TRIOS scanner. Friendly staff and dentists, come join us. Please contact associatenorthdublin@gmail.com

Dental Care Ireland Galway City – fantastic opportunity, full/part-time hours in our established practice. Full book on offer due to departing dentist. High earning opportunity. Must have Irish Dental Council registration and be eligible to work in Ireland. Contact careers@dentalcareireland.ie

Dental Care Ireland Wexford – great opportunity, full patient book. Experienced clinical support team in place. Flexible full- or part-time hours with high earning potential. 2023 Employer of the Year. Irish Dental Council registration required and eligible to work in Ireland. Contact careers@dentalcareireland.ie

Community dentist permanent, part-time role, Health New Zealand, Te Tai Tokerau. See https://community.northlanddhb.org.nz/jobs/community-dentist-oral-healthservice-northland-new-zealand/

Dentist required full/part-time basis to join Alexandra Dental team in north Dublin private practice. Experience preferred. CVs to dr.danaher@alexandradental.ie

Modern, fully digital, multidisciplinary Galway City practice is seeking an experienced dentist to replace a very busy departing colleague. This is an excellent opportunity in an extremely high-grossing position with enormous potential. Mentoring available and further education supported. Contact jason@jmedental.ie

Dentist required to join our team at Colm Smith Dental Cootehill/Monaghan. Busy, multidisciplinary, long-established practice. Full/part-time Hours. Full book, wellequipped, great support team. Must be Irish Dental Council registered. Email CV to drcolmsmith@gmail.com

Dental Care Ireland – Kilkenny/Callan. Strong patient books on offer, flexible days, high earning potential. Modern, established practices. Experienced, friendly clinical

154 Journal of the Irish Dental Association | June/July 2024: Vol 70 (3)
CLASSIFIEDS

teams in place. Join the Employer of the Year 2023 due to exciting company growth. Must have Irish Dental Council registration. Contact careers@dentalcareireland.ie

Dental Care Ireland – Ranelagh, Kimmage and Knocklyon. Exciting company growth, strong patient books on offer, flexible days, high earnings. Established practices. Experienced, friendly clinical teams in place. Join the Employer of the Year 2023. Must have Irish Dental Council registration. Contact careers@dentalcareireland.ie

Dental Care Ireland – Kells, Navan and/or Virginia. Opportunities, strong patient books on offer, flexible days, high earnings. Established practices with experienced clinical teams in place. Join the Employer of the Year 2023, must have Irish Dental Council registration. Contact careers@dentalcareireland.ie

Dental Care Ireland – Westport and/or Castlebar. Busy patient books on offer, flexible days, high earning potential. Modern established practices. Experienced clinical teams in place. Must have Irish Dental Council registration. 2023 Employer of the year ‘Dentistry Awards’. Contact careers@dentalcareireland.ie

Dentist required for two to three days (Mondays and Thursdays to start off with). Full book, great earning potential in this private=only practice. Very supportive team. Trendy practice in the heart of Stoneybatter. Contact info@omp.dentist

Dentist position available in Mallow, part/full-time. Full-time receptionist, private practice. Contact mallowdentist@gmail.com

Shields Dental Group is recruiting experienced general dentists for our multidisciplinary clinics located in Limerick, Roscrea and Blackrock. Join our partnership and work in busy, modern clinics with strong support teams, with opportunities to enhance your skillset. Contact jobs@shieldsdentalclinic.ie

Join our busy, friendly, and long-established fully private practice. We are currently seeking a skilled and dedicated dentist to join our team. Contact siobhan.kbmdental@gmail.com

Dental Care Ireland Waterford. Flexible part/full-time, dentist required to join our established practice. Experienced clinical team in place. Irish Dental Council registration required. High earning opportunity, strong patient books on offer, must be eligible to work in Ireland. Contact careers@dentalcareireland.ie

Experienced general dentist required to join a modern, digitised, fully private Galway City practice. Full support team, lab, co-ordinators, etc. Will suit an enthusiastic candidate who wants to work with a progressive team. Excellent remuneration potential. Training supported and provided. Contact jennifer@3dental.ie

Enhance your career with Seapoint Clinic. Our modern clinics in Blackrock and Sandyford, Dublin, offer endless possibilities. With great patients and lucrative earning potential, seize your opportunity to excel. Part-time or full-time flexibility available. Contact tom@seapointclinic.ie

Experienced part/full-time dentist required for a busy, well-established, modern practice in Dublin 9. Friendly and relaxed atmosphere. PRSI and private. Contact jpdental100@gmail.com

Dentist required for Saturdays in busy, modern, fully private practice in Dublin. Option available to take on more shifts. Flexible working hours. Fully digital practice with 3Shape scanner and OPG. Experienced, friendly support staff. Mentoring available. Specialists/hygienists on site. Contact dublindentistposition@gmail.com Dublin, Merrion Square Dental. Exciting role, growing city centre practice. Huge growth opportunity – up to ¤25/hr and bonus. Email CV to paddysteed@hotmail.co.uk

Join our amazing team! Full/part-time position available. Modern practice. IO scanner, OPG, private/PRSI, hygienist, endodontist. Thriving practice with excellent remuneration. No stress, great working environment! Ballinasloe and Portumna, Co. Galway. Contact drrothwelldental@gmail.com

Locums

Locum orthodontist position available August 2024. Maternity cover for existing patients. Fixed and removable appliances. Some Invisalign (optional). One to two clinics per week. Possibility of establishing permanent position for the right candidate. Email monique@kinsaledental.ie

Specialist/limited practice

Orthodontist wanted in Cork. One to two sessions/week. Retiring colleague with long waiting List. Great growth potential. Lovely practice and fantastic team support. Contact suzannecurran@aol.com

Exciting opportunity at our progressive dental practice! Seeking a motivated orthodontist to deliver outstanding orthodontic care. Work alongside a dedicated team and have access to advanced technology. Competitive rates. Contact careers@deansgrangedental.ie

Prosthodontist required for well-established implant team at state-of-the-art specialist practice, Dublin. Part-time position, potential for growth. On-site digital Laboratory, fully digital workflow, CBCT, intra-oral scanner, 3D printer, milling machine. Contact hrmanager@ncdental.ie

Quay Dental in Galway is looking to have a strong cosmetic dentist join the team. We are a modern, city centre practice with excellent equipment including a microscope. There is an established patient list of cosmetic treatments including

155 Journal of the Irish Dental Association | June/July 2024: Vol 70 (3) CLASSIFIEDS

Invisalign – open to discussing days and hours. Contact sophie.collier@bupadentalcare.co.uk

Specialist dentists. Smiles Dental has some exciting opportunities for specialist and specialist interest clinicians. Oral surgery, orthodontics, endodontics and paediatric opportunities are available right now! Well-equipped surgeries with specialist equipment on site. Contact sophie.collier@bupadentalcare.co.uk

Prosthodontist and periodontist urgently required to join existing specialists. Fantastic earning potential. Impressive modern referral clinic. Full- or part-time options. Contact tomas.allen@kingdomclinic.ie

Hygienists

State-of-the-art specialist dental practice seeks experienced dental hygienist to join their team, initially one day a week, working closely with in-house periodontist and team of dental specialists. Motivated, positive self-starter, exceptional patient service required. Contact hrmanager@ncdental.ie

We are looking for an experienced, part-time dental hygienist to join our warm, supportive and multidisciplinary team for two to three sessions per week. Full book, EMS Airflow, Cavitron, Intra-oral camera. Irish Dental Council registration essential. Contact helen@portobellodental.com

Peter Doyle’s Dental Centre is looking for a part-time dental hygienist. Fully computerised, modern practice, well established, fully private book, friendly and supportive team. Please send CV to gerryjohnstreet@gmail.com

Sunny South East: Hygienist position available one to three days/week in private practice. Flexible days/hours available. Ideal candidate would be warm, friendly, with good people skills. Modern facilities, superb dental team, fully computerised, established book and excellently equipped. Contact cusackdental@gmail.com

Dental hygienist required for one to two days per week to join our team in Shields Dental & Orthodontic clinic in Frascati Centre, Blackrock, Dublin. Flexible days and times available in our busy, modern, private clinic. Attractive remuneration package. Contact jobs@shieldsdentalclinic.ie

Part-time dental hygienist position available in busy, modern, fully private dental practice. Flexible days/time. Excellent remuneration. Experienced nursing support. CPD provided. Large, multidisciplinary, friendly environment. Free parking. Contact dublinhygienistposition@gmail.com

Flexible, one to two days, days hygienist position. Busy, well-established private practice in Ashbourne with amazing staff and friendly atmosphere. Excellent remuneration. New equipment, free parking. Contact pkorpal@gmail.com Hygienist required one to three days/week. Flexible hours/days, south Co. Dublin near M50/N11. Very busy, independent practice with great support staff and friendly atmosphere. New equipment, digital practice, parking, etc. Contact jobs@ballybrackdental.ie

Tipperary: Hygienist position available one to three days/week in busy, wellestablished practice. Flexible days/hours available. Ideal candidate would be warm, friendly with good people skills. Modern facilities, superb dental team, fully computerised, established book and excellently equipped. Contact info@premierdental.ie

Galway. Part-time hygienist position available in busy, modern dental practice. Excellent support staff and friendly atmosphere. Please email CV to info@loughreadental.com

Dental nurses/receptionists/managers

Dental nurse-receptionist position available for full/part-time in large, busy private

practice in north Dublin. Excellent remuneration. CPD provided. Excellent career opportunities. Flexible working hours. Free parking. Contact dentalassociatejobdublin@gmail.com

Part/full-time nurse positions available in a state-of-the-art, modern and fully digital private practice. Great opportunity to work alongside a specialist, general dentist and two hygienists. Email your CV to info@naasdental.ie

Dental nurse-receptionist position available full/part-time in large, busy private practice. five dentists, two hygienists. Ennis Dental Health Centre. Excellent remuneration. Contact gbrowne.ennis@gmail.com

PRACTICES WANTED

Alexandra Dental is looking to open in Galway. Dentists who are interested in selling their practice or list, or would be interested in joining Alexandra Galway on a full-time or part-time basis, email conorduggan@alexandradental.ie

PRACTICES FOR SALE/TO LET

SW Dublin. Nice, two-surgery mixed practice. Busy, full-time, free parking, good equipment, high turnover, well worth a look, keen price. Apply to fiachloir86@gmail.com

Dublin south city: Very busy, well-established practice. Busy location. Fully walkinable, two surgeries, excellently equipped. Ample room to expand – ready-to-go surgery. Loyal staff. Very high new patient numbers. Principal available for transition. Negotiable price. Contact niall@innovativedental.com

Munster: Very busy, long-established, well-equipped, computerised, digitised, three/four surgery practice. Decontamination in place. Excellent location – strong footfall. Freehold/leasehold options. Very good figures/profits. Long-term associates in place. Priced to sell – principal retiring. Contact niall@innovativedental.com

Modern, established, digital three-surgery practice for sale in Cork suburb. OPG. Principal retiring. Priced for quick sale. Contact corkdentist1@gmail.com

Cork City: strong, busy, long-established private practice. High-profile location. Ample parking. Walkinable, two surgeries, detached, purpose built. Modern equipment, computerised, digitised. Loyal staff – hygienist. Good new patient numbers. Property: flexible options. Transition available. Large potential. Contact niall@innovativedental.com

Kilkenny. Excellent, modern, two-surgery, ground floor practice. Digital OPG, orthodontics, implants, hygienist. Decontamination room. Excellent location, potential. Free parking, low overheads. Negotiable price. Contact dentalclinickilkenny@gmail.com

EQUIPMENT FOR SALE

Sirona Cerec AC dental scanner, standalone unit (extra satellite unit with desktop computer). Excellent condition. ¤7,500. Newest update from Sirona. Contact fbelliardt@gmail.com

X-Guide implant system for sale. Excellent condition. Please email Bpm.gmedical@gmail.com or call 087-266 6524 for details.

156 Journal of the Irish Dental Association | June/July 2024: Vol 70 (3)
MEMBER 2024
CLASSIFIEDS
Irish Dental Association
use this logo on your website
other practice material.
aoife@irishdentalassoc.ie
As a member of the
you can
and
Contact
for details.

Quality service

The

IDA’s Quality and Patient Safety Committee assists dentists in achieving compliance with regulations applicable to dental practices.

The IDA’s Quality and Patient Safety Committee (QPSC) has a broad role, the main aim of which is to make things easier for dentists. Its remit includes producing documents and guidelines on statutory obligations that apply to dentists in Ireland.

The QPSC develops protocols for quality and patient safety, and engages with authorities that produce or oversee regulations, such as HIQA, the EPA, the HPRA, and the HSE.

Dr Gerald O’Connor (left), Chair of the QPSC, says: “It’s predominantly about making it a little bit easier for dentists to be aware of their obligations, because it’s a constantly changing statutory and regulatory landscape. We keep our ear to the ground in regard to all these developing changes in legislation and try to make compliance easier for all”.

Gerald’s role as Chair involves making sure there is progress on the pressing issues and documents being produced. He also represents the Committee on IDA Council, highlighting any issues that have come up in the QPSC’s work.

What the Committee works on

The Committee recently undertook a review of all its documents, ensuring they were up-to-date and legislatively accurate. The QPSC removed some, uploaded new ones, and edited others.

Radiology is a recurring topic for the Committee, with HIQA often updating and advising in this area. Sustainability is another major focus, and Committee members have met with the dental trade to examine the possibility of reducing the amount of packaging they use. The QPSC also organises compliance webinars. Another hot topic is the Medical Devices Directive, which the Committee is preparing a position paper on.

Gerald says a key aim of the Committee is that any advice it produces is reasonable, practical and easy to implement. The QPSC bases its advice on the best empirical evidence and all advice is subject to in-depth discussion in the Committee before it is published, says Gerald: “There are many steps built in to make sure that we’re making things easier for dentists and not just adding to their bureaucratic load. We just want to make it easier for clinicians to comply with existing regulation”.

New members welcome

Gerald says the Committee is always eager to hear from dentists looking to become members: “We’re always looking for new blood. And generally speaking, it’s a case of simply contacting IDA House or any of the existing Committee members. Once referred in, it’s just a matter of your application being nominated and approved”.

Meet the members

Dr Nick Armstrong

“I have an interest in health and safety and I have been very involved in infection control for years, both writing and lecturing on these topics. I joined the Committee because of these interests and through the Committee we published protocols and gave presentations in areas of interest to our colleagues, and provided advice to individual members on these issues. I think the Committee is important because it hopefully helps our colleagues to keep up to date and to deal with increasing regulation in these and other areas. We also set up a sustainability in dentistry sub group to help members become more environmentally sustainable. I enjoy being a member because the work of the Committee is interesting and the members are supportive of progressive ideas in dentistry.”

Dr Ahmed Kahatab

“I joined the Committee with a vision of collaborating with like-minded professionals dedicated to advancing the standards of dental care in Ireland. During the Covid-19 pandemic, I witnessed the Committee’s crucial role within the IDA in providing timely, pragmatic, and evidencebased resources for safe and effective care. I believe that integrating sustainable dentistry is vital for the long-term health of our environment. My involvement has been profoundly rewarding, enabling me to play a part in positively impacting patient care while championing sustainable and responsible dental practices.”

The IDA Quality and Patient Safety Committee

Dr Gerald O’Connor (Chair)

Dr Nick Armstrong

Dr Kieran O’Connor

Dr Evelyn Connolly

Dr Eamon Croke

Dr Michaela Dalton

Dr Louise Dockry

Dr Ahmed Kahatab

Dr Gabrielle O’Donoghue

Dr Maria O’Grady

Dr James Tarpey

Roisín Farrelly

158 Journal of the Irish Dental Association | June/July 2024: Vol 70 (3) COMMITTEE PROFILE

BDA NI MESSAGE

Planning to leave NHS dentistry? Form an orderly queue

Dr Ciara Gallagher explains how a headline-grabbing 30% fee increase becomes 25% and a formula used to increase pay actually decreases it.

It is a fact that 90% of NHS dentistry is provided by general dental practitioners in practices that are standalone businesses. We provide NHS dentistry on behalf of the Government and we bear the costs, but we cannot charge in relation to costs because NHS fees are set by the Government, which neither knows, nor has taken any steps to find out, the cost of care. And here comes the Department of Health (the Department)-generated paradox: the fees are now so low in relation to the cost of care, that in reality, the more NHS dentistry you do, the more money the practice loses.

A trail of broken promises

In June last year, the Permanent Secretary of the Department, Peter May, said that Department officials were “looking to Scotland” for next steps. And so, our profession watched the proactive Scottish Government roll out their revised payment model, where average root canal treatment fees are 93% higher and extraction fees are 118% more than our current fees. We waited in eager anticipation. Ultimately, the wait was long and fruitless, and nothing came of “looking to Scotland”, other than looking.

The BDA approached the Department again in the autumn, and officials advised us that we would receive investment proposals before Christmas. This failed to materialise.

A disappointing £9.2m

In January, drifting and directionless, 720 of us wrote to the Department. The answer from the incoming minister was decidedly underwhelming: £9.2m allocated in anticipation of another underspend in 2024-2025. This money is to be used to enhance select fees, to create a dental access scheme, and an enhanced child examination scheme. In other words: here is some money to bring children into this broken service; here is some money for patients who cannot get access because the service is broken; and, here are a few crumbs to feed this starving service.

This £9.2m investment was loudly trumpeted in March, but to date not a penny has been delivered to practices, with business cases yet to be fully agreed for all but the Doctors’ and Dentists’ Review Body (DDRB) uplift and the non-recurrent selective 30% uplift. And just for clarity, this 30% is in reality 25%, as it is based on the pre-uplift 2023-2024 fees, which in reality should have already been increased in relation to the DDRB recommendation but were not. In other words, the Department has taken advantage of its own delayed application of the DDRB to turn 25% into a headline 30%. And furthermore, it is only applied for the 2024-2025 year. At a practice level, it is much too little, way too late.

Here comes the Department of

Health

(the

Department)-generated

paradox: the fees are now so low in relation to the cost of care, that in reality, the more NHS dentistry you do, the more money the practice loses.

What the DDRB uplift really means

In the same announcement, Minister of Health Robin Swann also confirmed that the rate of DDRB uplift to be applied would be 6.47% for 2023-2024, with a lower figure of 4.92% to be recurrent on affordability grounds. That means the Statement of Dental Remuneration (SDR) will be uplifted by the lower amount, the higher figure being applied for last year (2023-2024) only.

This tortuous calculation allowed Minister Swann to state that he had “implemented the recommended pay uplift of 6%”. This is a disingenuous statement. Not only because the headline uplift is just for 2023-2024, but more crucially, because the Department does not know the costs of running a dental surgery. A flawed formula has been applied and this has delivered a retrospective pay cut.

Stability or the opposite effect?

Minister Swann hoped that this announcement would help to stabilise the service and provide some level of support to practices under pressure while also helping with access issues. However, it appears to have had the opposite effect. With hopes of implementation of the Scottish model shattered and the lack of a longterm plan , many more dentists are preparing to further reduce or eliminate their provision of NHS dentistry. Indeed, the figures show that the exodus is already underway. Last year 22% less NHS dentistry was done and the primary reason was costs surpassing fees. The future is mapped out with almost 90% of dentists stating that they intended to do less NHS dentistry. In fact, almost half have stated that they will likely go fully private.

The volume of deregistration forms being submitted in recent months has grown to the extent that a deregistration spreadsheet has been created to process them all. The BSO electronic portal is inundated with requests for these forms to the point that there is a wait. So if you are planning to reduce or leave NHS dentistry then form an orderly queue.

115 Journal of the Irish Dental Association | June/July 2024: Vol 70 (3)

Turn static files into dynamic content formats.

Create a flipbook
Issuu converts static files into: digital portfolios, online yearbooks, online catalogs, digital photo albums and more. Sign up and create your flipbook.