Journal of the Irish Dental Association

Page 1


Journal of the Irish Dental Association

Rethinking plastic use Part II: plastic goods in a dental practice
Iris Cumainn Déadach na hÉireann

HONORARY EDITOR Dr Cristiane da Mata BDS MFD (RCSI) Dip TLHE MPH Phd FFD RCSI journaleditor@irishdentalassoc.ie

DEPUTY EDITOR Dr David McReynolds BA BDentSC MFDS RCSEd DChDent (Pros) FFD RCSI

EDITORIAL BOARD

Dr Meriem Abbas BDS (NUI) MFDS RCSEd PGDip TLHE

Una Farrell Dip Dental Hygiene

Dr Geraldine McDermott BA BDentSc MFDS (RCSI) PGradDip ConSed (TCD) MSc Healthcare Leadership (RCSI)

Dr Clair Nolan BDS (NUI) MSc (Endo) U. Lond

Dr Adedeji Daniel Obikoya BChD MFDS (RCSI) MSc

Dr Judith Phelan BDS (NUI) MDS (NUI) MSc (U Lond) MRD (RCS Eng and Glas)

Dr Patrick Quinn BCL BDS LLM MDPH

Dr Catherine Vaughan BDS (NUI)

IDA PRESIDENT Dr Rory Boyd

IDA CHIEF EXECUTIVE Fintan Hourihan

CO-ORDINATOR Liz Dodd

The Journal of the Irish Dental Association is the official publication of the Irish Dental Association. The opinions expressed in the Journal are, however, those of the authors and cannot be construed as reflecting the Association’s views. The editor reserves the right to edit all copy submitted to the Journal. Publication of an advertisement or news item does not necessarily imply that the IDA agrees with or supports the claims therein. For advice to authors, please see: https://jida.scholasticahq.com/for-authors

Published on behalf of the IDA by Think Media, 537 NCR, Dublin 1 T: +353 1 856 1166 www.thinkmedia.ie

MANAGING EDITOR Ann-Marie Hardiman ann-marie@thinkmedia.ie

EDITORIAL Colm Quinn colm@thinkmedia.ie

ADVERTISING Paul O’Grady paul@thinkmedia.ie

DESIGN/LAYOUT Rebecca Bohan, Tony Byrne

Audit issue January-December 2023: 3,867 circulation average per issue. Registered dentists in the Republic of Ireland and Northern Ireland.

Patient-centred care: what does it really mean?

59 ASSOCIATION NEWS

61 IDA NEWS

HSE Dental Surgeons Annual Seminar; IDA meets Minister

63 BUSINESS NEWS

All the latest news from the trade

71 ANNUAL CONFERENCE PREVIEW

Kilkenny awaits 81 CLINICAL FEATURES

81 Digital planning in the contemporary management of amelogenesis imperfecta 85 Plastics: time for a rethink?

Part II: plastic goods in a dental practice

88 PEER-REVIEWED

Motivational factors for choosing dentistry as a career: a survey of undergraduate dental students in Ireland

J. Hallissey, A. Hannigan, S. O’Dowling Keane, M. Harrington, N. Ray 92 QUIZ

93 CLINICAL TIPS CBCT for general practitioners

MANAGEMENT A burning issue

102 FUTURE DENTISTS

Meet the next generation of dentists in Ireland

Irish Dental Association Unit 2 Leopardstown Office Park, Sandyford, Dublin 18. Tel: +353 1 295 0072 Fax: +353 1 295 0092 www.dentist.ie Follow us on Facebook (Irish Dental Association) and X (formerly Twitter) (@IrishDentists).

IDA delegation meets Minister for Health 4 HR update: compassionate leave and force majeure leave

Patient-centred

care: what does it really mean?
Navigating good clinical and ethical practice to ensure true shared decision-making can be complex for clinicians and patients.

We hear the term ‘patient-centred care’ (PCC) frequently, and it has become the gold standard in healthcare: placing the patient at the centre of their treatment. But what does this truly mean?

PCC has been defined as a process in which “providing care ... is respectful of and responsive to individual patient preferences, needs, and values, ensuring that patient values guide all clinical decisions”. In essence, PCC is a healthcare delivery model that prioritises the patient in all decision-making and treatment planning.1 Achieving this requires a collaborative process between patients and clinicians, known as shared decision-making (SDM). SDM is where patients and healthcare providers make decisions together, integrating patient values and preferences with clinical evidence to reach a truly patient-centred decision.

The challenges of shared decision-making

But how do we ensure that SDM genuinely takes place? How do we avoid simply overwhelming patients with a list of risks and benefits, and leaving them solely responsible for the decision?

It seems obvious that patients are in charge of their health and that treatment decisions ultimately belong to them. But what happens when a patient’s choice contradicts professional ethics, or when they choose what you believe is a suboptimal option?

We must be careful when discussing treatment plans with patients, as simply presenting an option to a patient can easily be misinterpreted as an endorsement. Patients do not expect clinicians to suggest interventions that are not in their best interests. Even though the patient might sign a consent form agreeing to that option, if things go wrong, they can always say they did not understand the risks properly, or they believed that because you gave them that option, it was an appropriate one.

Real-world examples

I started thinking about this recently after coming across two situations where patients and professionals felt confused around the subjects of PCC and SDM. The first case involved an 80-year-old relative who was given multiple treatment options to replace a failing four-unit bridge and was bombarded with a number of options that she did not quite understand (and voiced her confusion to the dentist). She just wanted to know what the best option for her case was, a question that kept being answered by the dentist with: “This is going to be up to you”.

So, the treatment options were too many, they were not clearly explained, and the dentist did not seem to fully understand her preferences or circumstances to be able to point her in the right direction.

The second example involved a colleague who consulted with a cardiologist about the need for antibiotic prophylaxis for one of their patients before dental treatment. The cardiologist, who confirmed the need for antibiotic coverage in that case, concluded the letter by stating: “The decision to take them is up to him”. The letter was emailed to the dentist and the patient, who was already reluctant to take the recommended prescription. The final statement in the cardiologist’s letter introduced ambiguity into what was a clear guideline, with the potential to lead to confusion as to the most appropriate course of action.

The complexity of decision-making in dentistry

To me, these two cases highlight significant issues in PCC and SDM. In dentistry, as in many other fields, there is often a range of treatment options for any given diagnosis.

These options vary based on a patient’s values, preferences, financial considerations, and willingness to attend appointments. Different dentists may propose entirely different treatment plans for the same issue, which can be overwhelming for patients. Simply providing more information or more options does not always facilitate decision-making; in fact, it can make the process even more difficult.

Additionally, some patients prefer not to make a decision at all. The complexity, urgency, and reversibility of the decision, as well as the risks and benefits of each option, all influence how a patient engages in SDM.2 Some decisions may be best left to the expertise of the clinician, particularly when a patient feels emotionally distressed or lacks sufficient understanding of the medical implications.

A final question

Returning to the antibiotic prophylaxis case: if a patient decides not to follow the recommended course of action, would you still proceed with treatment? The decision ultimately belongs to the patient, but the responsibility for a failed outcome is also the professional’s … so how do we navigate these ethical dilemmas while upholding professional responsibility?

References

1. Scambler S, Gupta A, Asimakopoulou K. Patient-centred care – what is it and how is it practised in the dental surgery? Health Expect. 2015;18(6):25492558.

2. Fisher KA, Tan AS, Matlock DD, Saver B, Mazor KM, Pieterse AH. Keeping the patient in the center: common challenges in the practice of shared decision making. Patient Educ Couns. 2018;101(12):2195-2201.

PRESIDENT’S NEWS

Dr Rory Boyd

A busy year

For my last message for this Journal, it’s fitting to reflect on what has been a busy and very fulfilling year.

ADVOCACY AND CAMPAIGNS UPDATE

Fintan

Time is now for a VT

Scheme 2.0

Different stimuli can drive you towards a single idea and the solution needed for one of the biggest challenges facing Irish dentistry.

Meetings with the Department of Health on the implementation of Smile agus Sláinte finally began in earnest, and while the General Election inevitably led to a pause, discussions have now resumed and we look forward to progressing these and working to get the best outcome for the profession and for patients. Our recent meeting with the new Minister for Health, described elsewhere in these pages, is hopefully a sign of a fruitful relationship as we navigate the changes that are undoubtedly coming for dentistry in Ireland.

Personal highlights

Our 2024 Annual Conference in Killarney was a particular highlight for me. I was especially delighted to welcome our colleagues from the American Academy of Fixed Prosthodontics (AAFP) for a joint session as part of the Conference. Having long been a member of both the AAFP and the IDA, it was very special to me to be able to bring these two organisations together. Attending the American Dental Association’s meeting in New Orleans was another standout experience.

Last year’s Colgate Awards showcased yet again the tremendous work being done by our colleagues around the country, and it was a pleasure to be involved. During the year I had the opportunity to be part of the Association’s ongoing advocacy work, representing the profession in the media on a number of occasions to discuss issues from dental tourism and workforce planning to the crisis in the medical card scheme.

I was also privileged to be a member of the taskforce that is working to develop and improve our Journal, and I look forward to seeing the results of that work next year.

Thanks

I extend my sincere thanks to the Executive of the IDA, my fellow Officers, and all of the committee members for their tireless work and their support during the year.

I offer my congratulations to Dr Will Rymer as he takes on the role of President. I wish him well, and look forward to supporting him as Vice President as we continue the Association’s work.

That challenge is the shortage of dentists and vital dental team members.

The Department of Health recently published its latest workforce survey. Remarkably, the survey shows that we have over 3,700 dentists registered with the Dental Council but just over 2,500 dentists in practice in Ireland. Of those practising, we do not know how many are working a five- or six-day week or indeed what their hours of work are.

The Minister for Health, Dr Jennifer Carroll MacNeill TD, was shocked when we mentioned these figures to her at our recent meeting. The following day, our GP Committee met to discuss the challenges facing general practitioners with a view to preparing a strategy and action plan for the IDA. Unsurprisingly, the costs of running a dental practice were highlighted, followed closely by the dental workforce crisis.

The strong message from our GP representatives was that the crisis in recruiting and retaining dentists is exacerbated by the lack of support available to graduate dentists or those entering the country to practise for the first time. Nothing is there to prepare them and, not surprisingly, many are lost to the dental workforce before too long.

One solution we presented to the Minister is the urgent introduction of a Foundation or Vocational Training Scheme to assist dentists with a carefully designed scheme of mentorship and a gradual introduction to whichever branch of dentistry appeals. We had a scheme here, which was removed for cost-saving reasons in 2009, and which has never been restored in spite of huge support across all key dental stakeholders.

GP trainees in medicine have a widely lauded scheme that allows doctors to receive experience in many different clinical settings, provides for protected study days, and also ensures that trainers are resourced properly to act as vital mentors. Imagine what the impact of such a scheme might be in dentistry.

As your representative, the Association is determined to push hard on this idea. Our pre-election campaigning produced real gains with the first ever Programme for Government to include specific commitments regarding oral health, so we know we can make a difference. If you’re not a member of the Association, and care as deeply as we do about finding solutions rather than simply diagnosing problems, then join us today.

SEMINAR 2025

KILKENNY OCTOBER 16+17

IDA delegation meets with Minister

An IDA delegation recently met with Minister for Health Jennifer Carroll MacNeill TD and her officials to outline the Association’s priorities for oral health in Ireland.

Representing the IDA were Dr Rory Boyd (President), Dr Will Rymer (President-Elect), Dr Bridget Harrington-Barry (President-Elect Designate) and Mr Fintan Hourihan (Chief Executive). Topics discussed included: implementation of Smile agus Sláinte; mandatory CPD; workforce planning; recognition of dental specialties; and, the need for urgent reform of the medical card scheme.

The IDA delegation welcomed the Minister’s eagerness to make progress on a number of key issues, and emphasised the need to rebuild trust and confidence among dentists, and implement meaningful reform.

See the members’ news section of this edition for a full report from the meeting.

CE Mark for Invisalign Palatal Expander System

Align Technology has announced that it has received the CE Mark in Europe under the Medical Device Regulation for its Invisalign Palatal Expander System.

According to Align, the Invisalign Palatal Expander System is a modern and innovative direct 3D printed device based on proprietary and patented technology. Invisalign Palatal Expanders are intended for use in rapid expansion and subsequent holding of skeletal and/or dental narrow maxilla (upper jaw) with primary, mixed, or permanent dentition.

The company says the Invisalign Palatal Expander System consists of a series of removable devices staged in small increments of movement to expand a patient’s narrow maxilla to a position determined by their treating doctor. Each direct 3D printed device is customised to the patient’s unique anatomy based on an iTero intraoral digital scan.

A palatal expansion treatment plan and device design are then developed using Align’s proprietary orthodontic software.

“The Invisalign Palatal Expander is an example of Align’s continuous commitment to innovative digital orthodontics by delivering products with greater efficiency

Prettau 3 Dispersive zirconia

Prettau Dispersive zirconia materials are, according to their manufacturer Zirkonzahn, characterised by a smooth, natural colour gradient built into the manufacturing process, offering a triple gradient of natural colour, translucency and flexural strength. The company says this is thanks to a special technique that does not blend colours into layers but disperses them evenly and that, with the Gradual-Triplex-Technology, a triple gradient has been developed for the new Prettau 3 Dispersive zirconia. Zirkonzahn also says that in addition to the colouring smooth gradient, translucency and flexural strength levels also change. Whereas the incisally increasing translucency results in a highly translucent incisal edge, the cervically increasing flexural strength results in an extremely high flexural strength at the tooth neck, according to the company. Accordingly, Prettau 3 Dispersive can be used for all kinds of zirconia restorations, although it is particularly suitable for monolithic rehabilitations. For a final prosthesis with a colour matching with the patient’s natural tooth shade, Zirkonzahn says their new shade guides can be used. Composed of monolithic zirconia sample teeth, they exist for all Prettau Dispersive zirconia materials and are available in the shape of a premolar as well as lower and upper incisor (also with minimal cutback for a totally customised shade guide). If the final restoration is milled out of a Prettau Dispersive zirconia blank identical to the one of the shade guide used, the company says the colour of the zirconia restoration corresponds 1:1 with the natural tooth shade of the patient.

Monolithic maxillary restoration made with Prettau 3 Dispersive zirconia (13-23).

The Invisalign Palatal Expander System.

for doctors and better treatment experiences for young patients,” said Simon Beard, Align Technology executive vice president and managing director, EMEA. “We are thrilled to extend the availability of this transformative alternative to traditional palatal expanders to doctors and their patients across the EMEA region”.

Will you still be smiling at the end of the year? Make sure your practice is profitable in 2025 As Ireland’s only specialist dental accountants we’re here to help you control your practice costs

MedAccount Services

S20, The Pottery, Pottery Road, Dun Laoghaire, Co. Dublin.

Tel: 01 280 6414

Email: info@medaccount.ie

Transform your practice

Lisa Grogan, Dental Coach, asks the question: is your dental practice working harder than ever — but still not reflecting the revenue you deserve? With two decades of experience in the dental industry, Lisa states that she understands the daily challenges and frustrations that practice owners face. Many dentists report feeling stuck in a revenue loop – working tirelessly, yet their income doesn’t reflect the effort and dedication they’ve put into building their business. The long-held belief that dentists must work harder to earn more is a damaging myth, and one that leads many to burnout and frustration. The reality is that most clinics have untapped opportunities to increase revenue –without adding more hours to an already packed schedule.

Lisa regularly works with practice owners to uncover these opportunities. With the busy nature of clinical life, it’s easy for things to slip through the cracks, and mismanaged finances, inefficient systems, and missed opportunities are often key reasons why clinics lose revenue – frequently without even realising it.

The good news? With the right systems and strategies, any clinic can become a high-performing, profitable business that provides its owners with both financial success and peace of mind.

Henry Schein supports educators and students

The Association of Dental Education in Europe (ADEE), the European Dental Students’ Association (EDSA), and Henry Schein are co-operating to help drive change by granting the 2025 Oral Health Professional Educators’ Practice Green Awards. This year’s awards will continue to highlight progress on environmental initiatives through the first category Practice Green Award (environmental sustainability), and also include the introduction of a new category, the Social Excellence Award, to help health happen by recognising improvements in social health outcomes for communities and patients.

According to the bodies involved, expanding the parameters of the award to encompass both environmental and social impact reflects the shared values of the partners. By incorporating a social excellence component, the award will better reflect the impactful contributions dental schools and societies are making to drive change towards sustainable practices and meaningful social responsibility.

Prof. Brian O’Connell, ADEE President, said: “After two successful years of the Practice Green Awards, ADEE is thrilled to continue our partnership with Henry Schein and EDSA on this initiative and to introduce the additional Social Excellence category. Through these awards, we can support ADEE member institutions in raising awareness of both environmental and socially related efforts”.

Nicola Loynes, Vice President, EMEA Special Markets, Henry Schein, said: “It is an honour to again collaborate with ADEE and EDSA, especially with this year’s expanded award categories. Together, we aim to promote sustainability and social responsibility to drive change in dental education and across the industry as a whole”.

Applications are now open to ADEE member institutions and will remain open until June 30, 2025. The awards will be presented at a gala event held as part of the ADEE 2025 Annual Meeting in Dublin in August.

Safe tooth brightening

Brilliant Lumina from Coltene is designed to enhance the appearance of your patients’ teeth without any risk of damage or irritation, according to the company. Tooth brightening is achieved gently with the active ingredient PAP (phthalimido peroxy caproic acid). Unlike formulas containing hydrogen peroxide, carbamide peroxide or other aggressive bleaching substances, Coltene states that none of the ingredients in Brilliant Lumina pose a risk to the tooth microstructure.

Coltene Brilliant Lumina.

Colgate’s new Active Prevention range

Colgate recently introduced its “New Era in Active Prevention” at an event in the UK where dental professionals outlined the development of the active prevention range. There were insights from patients, scientists, academia and dentists. Simon Petersen, Senior Vice President and General Manager at Colgate, Northern Europe, stated that Colgate’s success is built on valued, trust-based relationships with a range of partners, including the dental profession. He also highlighted that as a global brand in over two-thirds of all households, Colgate’s leadership position presented opportunities to enter a new era in active prevention of dental health issues.

Katie Mitchell, Senior Insights Manager at Colgate, highlighted the need for an increased focus on prevention, with some patients saying they don’t feel they know enough to optimise their oral health at home.

Dr Bayardo Garcia-Godoy, Senior Researcher at Colgate, then introduced new Colgate Total, which he stated is designed to support the dental team in extending their professional care into patients’ homes. Dr Garcia-Godoy stated that new Colgate Total toothpaste’s superior technology, with uniquely stabilised stannous fluoride formula, is formulated to provide high levels of bioactive stannous, targeting the cause of common health problems. He also highlighted the opportunity for personalised active prevention through recommending the new Colgate Total Active Prevention toothpaste range, toothbrush and mouthwash.

Dr Mohsan Ahmad, a UK GDP working predominantly in an NHS setting, shared how his team gives personalised advice to enhance patient engagement, empowering them to start their own journey to prevention.

Jan Prisic, Professional Brand Manager for Colgate, brought the event to its conclusion by introducing the new Colgate Total Active Prevention Toolkit, designed to support dental professionals in helping their patients with active prevention between visits. The toolkits, available from your Colgate Oral Care Consultant, include a pre-assessment questionnaire, handheld mirror and a chairside coaching tool to help engage patients and quickly deliver personalised care, along with a coupon for patients to redeem against the Colgate Total toothpaste range at all major retailers.

RCSI ACM – Dentistry Session

The RCSI Annual Charter Meeting (ACM) 2025 took place in February. The theme for this year’s meeting was ‘Next Generation Surgery’. It included a Faculty of Dentistry event focusing on ‘Pushing the Boundaries in Dentistry’.

This session provided valuable insights into various aspects of dentistry, from advanced treatment techniques to the integration of new technologies. It underscored the importance of staying informed and adapting to the evolving landscape of dental care.

Dr Kate Farrell, Vice-Dean of the Faculty of Dentistry, chaired the session. Dr David McGoldrick discussed ‘Osteoradionecrosis – Current Concepts and Management’, while Dr Rory Maguire presented on ‘LPRF (Leukocyte and Platelet Rich Fibrin) – A Game Changer in Periodontics and Implant Dentistry’. Dr Tim McSwiney covered ‘The Orthodontic Management of the Cleft Patient’, and Dr Patrick J. Byrne explored ‘The Evolution of Clinical Photography – The Past, the Present and the Future’.

Commenting, the Dean of the Faculty of Dentistry, Prof. Christopher Lynch, said: “The Faculty of Dentistry is honoured to participate in RCSI’s flagship event, to showcase the evolving landscape of dental care”.

New Colgate Total Active Prevention range.

TOKUYAMA ADVERTORIAL - CASE REPORT

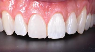
Treatment of a discoloured, previously traumatised vital tooth UR1

A 30-year-old patient, with a negative medical history, came to the clinic requesting the replacement of the previous composite reconstruction performed 10 years earlier following a trauma to UR1.

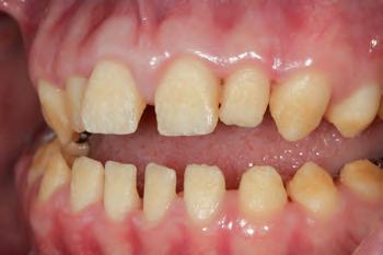
On clinical examination, UR1 was responsive to viability testing, and did not present periapical lesions on the radiograph performed on the same day (Figure 1). UR1 was discoloured and in a more palatal position than the contralateral central UL1 (Figure 2). The aesthetic analysis highlighted an asymmetry of the gingival zenith between UR1 and UL1. Through the use of a periodontal probe, after plexus anaesthesia, the altered passive eruption of the type IA junctional epithelium was confirmed according to the classification of Coslet et al. (Figure 3).

With a view to carrying out the most conservative restorative treatment possible on the patient, taking into account the age and vitality of the retained dental

FIGURE 1: Radiograph without periapical lesion.

element, it was decided to carry out a direct composite restoration following planning and a diagnostic wax-up of the case.

On the day of treatment, following local plexus anaesthesia, UR1 was isolated using a rubber dam, extending the isolation to the first premolars (Figure 4).

Subsequently, the fractured composite reconstruction was removed, a short bevel was performed on the preparation, and the entire surface of UR1 was sandblasted with 27 m aluminium oxide powder (Figure 5).

In order to correct the altered passive eruption, it was decided to recreate the emergence profile of the tooth by accentuating the vestibular bulge and seeking symmetry with the contralateral element. For this purpose, a pre-formed metal matrix was used and was blocked with two wedges. Once the matrix had been adapted, the adhesion procedures were carried out with a three-step etch and

FIGURE 5: Removal of fractured composite restoration.

FIGURE 2: Discolouration and palatal position of UR1.

FIGURE 6: Use of matrix and adhesion with three-step etch&rinse system.

FIGURE 3: The aesthetic analysis shows an asymmetry of the gingival zenith.

FIGURE 4: Isolation of UR1 with rubber dam.

FIGURE 7: Reconstruction of the vestibular emergency profile with an enamel shade of composite.

FIGURE 8: Reconstruction of the palatine wall by an enamel shade of composite.

TOKUYAMA ADVERTORIAL - CASE REPORT

rinse system. Each step was followed by polymerisation with UV light for 40 seconds (Figure 6).

The vestibular emergence profile was recreated with an enamel shade of composite (ESTELITE ASTERIA WE from Tokuyama Dental) (Figure 7). After performing a silicone index of the diagnostic wax-up, the palatine wall was reconstructed by an enamel shade of composite (ESTELITE ASTERIA WE from Tokuyama Dental) (Figure 8).

Subsequently, the dentinal anatomy was reconstructed through the reproduction of the mamelons with an opaque dentinal composite shade (ESTELITE SIGMA QUICK OA2 from Tokuyama Dental); this shade will also be fundamental for correcting the shade of the dischromatic element (Figure 9).

Light blue and white effect shades (ESTELITE COLOR from Tokuyama Dental) were applied to emulate the opalescence in the incisal area (Figure 10).

The layering was completed through the use of an enamel shade (ESTELITE ASTERIA WE from Tokuyama Dental) in the vestibular with a single addition. The vestibular surface was modelled and controlled in three-dimensional volumes in

FIGURE 9: Reconstruction of the dentinal anatomy with an opaque dentinal composite shade.

FIGURE 10: Use of light blue and white effect shades.

order to have as few final adjustments as possible. It was then polymerised for 20 seconds and polymerised for 40 seconds in the vestibular and palatine after being covered with glycerin gel to inhibit the hybrid layer of the composite (Figure 11).

The finishing and polishing procedures were carried out trying to emulate the transition lines of UL1 (Figures 12 and 13).

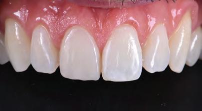
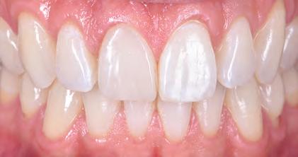
The patient was checked again after 21 days (Figures 14 and 15) and 12 months (Figure 16) to evaluate the aesthetic result in shape and colour.

Dr Nicolò Barbera Assistant Professor, Division of Cariology and Endodontics, University of Geneva Private clinical practice in Lausanne

FIGURE 13: Emulation of UL1 during polishing.

FIGURE 14: Restoration after 21 days.

FIGURE 11: Finalisation of layering with an enamel shade.

FIGURE 15: Restoration after 21 days.

FIGURE 12: Emulation of the transition lines of UL1 during finishing.

FIGURE 16: Restoration after 12 months.

Kilkenny awaits

The IDA Annual Conference returns to Kilkenny for 2025, featuring a line-up of speakers from near and far, all bringing with them the latest knowledge, skills and techniques.

The theme of the IDA Annual Conference 2025 is ‘Dentistry – The Way Forward’ and the event will look at how the profession is changing, and equip dentists with the skills needed to forge their way into the future. The Conference takes place in the Lyrath Estate, Kilkenny, from Thursday to Saturday, May 15 to 17, and booking is now open.

Pre-Conference Programme

As always, the proceedings kick off with a Pre-Conference Programme on the Thursday. If you want to improve your endodontic skills, Drs Richard Flynn and Aisling Donnelly will be running a full-days hands-on course entitled ‘Maximising your success in endodontics’. Another full-day hands-on course will be led by Dr Andrew Chandrapal called ‘Contemporary direct rehabilitation: the composite onlay and edge bonding masterclass’.

DENTISTRY THE WAY FORWARD

More

and more dentists are treating snoring and other related disorders, and if this is something you’d like to learn more about, Prof. Ama Johal will be giving a full-day hands-on course on the role of dentists in managing sleep-related breathing disorders.

More and more dentists are treating snoring and other related disorders, and if this is something you’d like to learn more about, Prof. Ama Johal will be giving a full-day hands-on course on the role of dentists in managing sleep-related breathing disorders. Another area of increasing significance for dentists is facial aesthetics. Drs Mairead Browne, Paul Kielty and Sarah Kate Quinlivan will run a full-day lecture and demonstration on advanced toxin treatments in facial aesthetics. The Conference will also feature a full facial aesthetics programme on the Friday (details below). Dr Tim Donley will run a half-day workshop on dental implant maintenance, and Dr Mauro Frediani will be directing a half-day masterclass on the minimally invasive prosthetic procedures (MIPP) technique, which will look at a modern approach to prosthetic rehabilitation. Patients coming into dental practices sometimes bring with them more than dental issues. Dr Ann Spolarich will spend a half day examining how dentists can manage patients with substance use disorders.

Conference Day 1

Two sessions will run concurrently on both days of the Conference proper, and on Day 1 Dr Andrew Chandrapal will kick things off in Programme 1 by examining the risks and indications of direct bonding in the aesthetic zone. In Programme 2, Dr Gabriel Krastl starts proceedings with a look at the management of challenging traumatic cases. In the second presentations of the day, Dr Tim Donley will look at the bidirectional relationship between the gut and oral health, and Prof. Ama Johal will take attendees through a safer way to perform clear aligner treatment. In his talk, Prof. Mike Lewis will give his ten top tips for oral medicine, while Dr Caitriona Ahern looks at the key principles of radiation protection. Closing out the morning sessions, Dr Hannah Walsh will take attendees through the management of molar-incisor hypomineralisation, and

SPEAKER FOCUS

Dr Isabel Olegário

Isabel is Senior Lecturer in Paediatrics and Primary Care Dentistry at RCSI and will be speaking at the Conference on contemporary caries management. She says her talk will cover a number of aspects.

Firstly, she will look at the difference between managing the caries disease process and treating individual lesions.

She will also go through caries diagnosis and the different assessment tools available. She will explore minimally invasive dentistry and look at modern, evidence-based approaches to caries management following current international guidelines.

She will take delegates through non-invasive, micro-invasive, and minimally invasive interventions for the primary and permanent dentition – discussing when and how to apply different strategies to preserve tooth structure according to clinical diagnosis.

Isabel says: “I hope that dentists will take away a deeper understanding of how to move beyond the traditional restorative approach and implement preventive and minimally invasive techniques in daily practice. By integrating these principles, we can improve patient outcomes while preserving tooth structure for longer”.

Isabel says contemporary caries management is shifting towards a patientcentred, preventive approach, and she is looking forward to sharing insights and practical applications during the session.

Dr Dermot Canavan’s talk will ask whether Botox has a role to play in temporomandibular and facial pain. Following lunch, Dr Marc Leffler will cover what dentists can do when things don’t go to plan, while Dr Isabel Olegário will look at contemporary caries management. Dr Mauro Frediani will take dentists through the combination of strategic factors for a successful prosthetic rehabilitation, and Dr Ann Spolarich will talk about managing patients with polypharmacy. Following these talks, the two programmes will merge for the final sessions of the day. Firstly, the winner of the Costello Medal will be announced. Then Dr Rory O’Reilly will look at what solutions are available for evidence-based burnout.

Finally, Dr Jeroen Liebregts will talk about functional and dental rehabilitation after facial trauma in the JIDA lecture.

SPEAKER FOCUS

Prof. Ama Johal

Ama will be speaking twice at the Conference, with his main presentation a Pre-Conference Course on the role of dentists in managing a range of sleep-related breathing disorders.

He explains that the course will introduce dentists to a field of practice known as dental sleep medicine that can serve their patients in an impactful way:

“It will explore the range of sleep-related breathing disorders that exist and the role of custom-made oral appliances in their management. Dentists will learn how to screen and manage a patient presenting in their surgery with a complaint of ‘snoring’.

They will gain the practical insights into providing custom-made oral appliances so they can confidently provide this treatment”.

Ama is excited to be both speaking at and attending the Conference, and says:

“I enjoy interacting with and gaining knowledge from peers with different interests. I also look forward to the trade exhibitions to gain insights into new developments”.

Ama’s second presentation will be a lecture on the safe provision of clear aligner treatments, and the benefits of dentists working with specialist orthodontists to help them assess and identify challenges and, if appropriate, plan treatments.

Conference Day 2

Dr Gabriel Krastl again kicks things off on day 2 in Programme 2, and will take attendees through the key to long-term success in the restoration of endodontically treated teeth. In Programme 1, Dr Tim Donley looks at the perio-cardio link and how it can affect dental patients and practice. Following this, Dr Catherine Gallagher’s presentation will look at medical emergencies in a dental setting, and Dr Edward Cotter looks at removable partial dentures. Dr Raj Rattan of Dental Protection will look at business ethics and the challenges of running a clinical business. Taking the conference up to lunch, Dr Mary O’Keefe will talk to dentists about interceptive orthodontics, Mr Craig Mallorie will give his tips on oral surgery, and Dr Ann Spolarich will examine the risks and benefits of dietary supplement use. Following the break, Craig will be back to discuss demystifying implant-retained dentures, and Dr Gerry McKenna will speak on oral

SPEAKER FOCUS

Dr Jeroen Liebregts

Jeroen’s talk is entitled ‘Functional and dental rehabilitation after facial trauma’ and he says it will highlight the transformative impact of digital technology in dentistry, and oral and maxillofacial surgery: “The field is undergoing a digital revolution, with 3D imaging, digital planning, and innovative workflows playing a crucial role in oral implantology and restorative treatment”. He will speak on how managing severe orofacial trauma requires a multidisciplinary approach, and digital technology has greatly enhanced treatment precision and predictability: “Through a real-life case, that of cyclist Fabio Jakobsen, I will demonstrate how digital smile design (DSD), 3D workflows, and collaborative treatment planning can lead to optimal patient outcomes”. Jeroen says he is excited to talk to Irish dentists and learn how dentistry is practised here: “Understanding different approaches to patient care, digital integration, and multidisciplinary collaboration in Ireland will be valuable. I look forward to exchanging knowledge and insights with local professionals to see how we can learn from each other and advance treatment methodologies”.

He is passionate about integrating technological advancements in clinical practice: “The IDA Conference is a great platform to exchange ideas with colleagues, and I look forward to discussions on how we can further enhance restorative and reconstructive treatments through cutting-edge technology and teamwork”.

care and the geriatric patient. The Conference will close with a panel discussion on ‘The cycle of life and the life cycle of the dental care we provide’, no doubt bringing proceedings to a fascinating conclusion.

Facial Aesthetics Programme

The number of dentists offering facial aesthetics has grown exponentially in recent years, and on Friday of the Conference, there will be an entire Facial Aesthetics Programme available for delegates.

This will look at everything from communication and patient management to chin and jaw augmentation, periorbital rejuvenation, lip augmentation, and much more. This programme is a must if you are offering these services or thinking about getting involved in this area.

Dental hygienists and nurses

There will also be a full-day hands-on course for dental hygienists taking place on the Saturday. This will focus on minimally invasive non-surgical therapy (MINST) from a dental hygienist’s perspective. It will cover how a minimally invasive approach fits into general practice periodontal protocols.

The course is designed for dental hygienists and dentists who want to enhance their skills in minimally invasive therapy and stay current with the latest advancements in the field.

The Dental Nurses’ Programme will run on the Friday and look at topics such as social media, oral radiology, gum health, and health and safety.

In addition to these specialised programmes, dental team member delegates are of course welcome to attend any of the Conference sessions.

Relax and enjoy

As always, the Conference is as much a social event as a professional one, and this year will be no different. On the Friday, the Annual Dinner will take place. Tickets cost ¤110 and all delegates and supply sponsors are welcome. Those who fancy themselves on the golf course can take part in the President’s Golf Competition, taking place at Carlow Golf Club on the Thursday. Also on Thursday, delegates can enjoy an evening at Kilkenny’s Medieval Museum, which features Ireland’s finest example of a medieval church. Tickets must be purchased in advance and cost ¤65.

Scan the QR code to read the full Conference Programme for further information and details on how to book and where to stay.

MEMBERS’ NEWS

Ready for change

A delegation from the IDA recently met with the new Health Minister.

The Association had a positive and frank discussion with the new Health Minister, Dr Jennifer Carroll MacNeill TD, and her officials, at the end of March. The Minister is expected to publish a significant three-year plan to begin the roll-out of the 2019 oral health policy, Smile agus Slainte, shortly. She is keen to make progress in improving care for children and vulnerable communities especially, and we were left in no doubt about her determination to achieve progress after many frustrating years of delay and inaction. Representing the Association were Dr Rory Boyd (IDA President), Dr Will Rymer (President-Elect), Dr Bridget Harrington-Barry (PresidentElect Designate) and Mr Fintan Hourihan (Chief Executive). Minister Carroll MacNeill was joined by Mr Niall Redmond (Assistant Secretary at the Department of Health), Mr Simon Fahey (Principal Officer), Dr Dympna Kavanagh (Chief Dental Officer), and Ms Anne Barry Reidy (Assistant Principal).

Prioritisation of oral health

In opening the meeting, we extended congratulations to the Minister on her appointment and wished her success.

The IDA was pleased to see the Government’s prioritisation of oral health in its Programme for Government and we acknowledged the positive shift in emphasis on oral health within the Department and the efforts of civil servants in deploying necessary resources.

Dr Rory Boyd expressed particular welcome for the new consultation paper on mandatory CPD received from the Department of Health prior to the meeting. He commended those who have put so much work into this paper and we will provide feedback by the deadline suggested by the Department in the first week of April.

Dr Rory Boyd expressed particular welcome for the new consultation paper on mandatory CPD received from the Department of Health prior to the meeting.

Fintan Hourihan IDA CEO

Emphasising early wins

Introduction of mandatory CPD

The outdated Dentist Act 1985 has led to dentistry becoming out of step with all other regulated healthcare professions in not having a statutory CPD scheme.

Recognition of dental specialties

This is particularly important in areas such as special care and paediatrics, where a recognised register of dental specialists would assist patients in accessing the correct level of care to match their need.

Work permit changes for overseas professionals

Reform of work permit rules for non-EEA citizens seeking work as dental nurses is urgently required since dental nursing was added to the list of ineligible occupations for work permits. Currently, this exacerbates the staffing crisis within dentistry.

Emphasising the need for early wins to build confidence among dentists that a new approach to engaging with the profession is required and real, the IDA delegation said that lessons have to be learned from previous difficulties. Recognition of more dental specialties and work permit changes would be really helpful in persuading busy dentists that this is a new and meaningful effort to introduce badly needed reforms in a spirit of collaboration with the dental profession. There is a real opportunity to make once-in-a-generation progress here and we want to see this happen.

We presented the Minister with four major reform plans devised by the Association in regard to the dental workforce staffing crisis, the collapse of the medical card scheme, a plan to rebuild the HSE public dental service, and how to implement the new WHO global oral health policy:

n Towards Sustainable National Oral Health Services: Delivering the WHO Oral Healthcare Strategy for Ireland;

n Improving Access to Dental Care for Medical Card Patients;

n Towards a Better Oral Healthcare Service for Children and Special Care Patients; and,

n Providing Dental Care in Ireland: A Workforce Crisis.

The IDA emphasised the need for an oversight structure to manage the reforms process and advocated for the appointment of a respected independent chair for a steering group and a separate reference group comprised of all main stakeholders.

There is a real opportunity to make once-in-a-generation progress here and we want to see this happen.

Urgent reforms required

The IDA emphasised that priority had to be given to a number of areas that require urgent intervention by the Minister – the collapse of the medical card scheme and the crisis in access to care for children.

Dr Will Rymer emphasised urgency and willingness for talks to begin without delay in regard to reform of the system of care for medical card patients in parallel with talks on improving access to care for children. He referred to the detailed proposals we have prepared and our wish to discuss a completely different scheme to provide care for medical card patients.

Dentists have left the existing scheme in unprecedented numbers, and only a vastly different approach will encourage them back to a new State-funded programme of care. All options need to be examined, including the voucher-type scheme recommended independently by Prof. Ciaran O’Neill, a new HSE service for adult patients, etc.

We have signalled previously that we want a legally watertight framework agreement to allow us to negotiate without fear of legal sanction; we believe an independent chairperson is needed also.

With respect to children’s dental care, we welcome the commitment to improving access to care. We have signalled that we believe a different approach is required to simply shifting care provision to the private sector.

In the past five years, there has been a 31% reduction in schoolchildren screened under the HSE school screening dental service despite a 7.3% increase in population.

There is huge uncertainty over the service, as the Government appears to be suggesting that children should be seen by private dentists, 90% of whom say the priority should in fact be rebuilding the public dental service. This political uncertainty is making it more difficult to recruit into the public dental service. A clear statement is now needed to end this uncertainty, along with a pledge to increase HSE recruitment of dentists as a priority.

Ireland was once a leader in public dental care, particularly with the school screening programme, which set a high standard for preventive dental health. However, years of underinvestment and staffing challenges have led to significant

From left: Dr Rory Boyd, IDA President; Mr Fintan Hourihan, IDA Chief Executive; Minister for Health Dr Jennifer Carroll MacNeill TD; Dr Bridget Harrington-Barry, IDA President-Elect Designate; and, Dr Will Rymer, IDA President-Elect.

The IDA presented the Minister with a document outlining the Association’s proposals for dental health reform in Ireland, in line with international best practice.

gaps in service delivery. The impact of Covid-19 has also been a factor here.

To reclaim our leadership, we must prioritise recruitment, training, and investment in public dentistry.

A well-funded public system should be the foundation, ensuring universal access to essential care. However, sustainable private sector collaboration can support this goal where viable.

A revitalised public service means:

n equitable access to dental care for children and vulnerable groups; n workforce expansion through competitive salaries and incentives; and, n investment in technology and infrastructure to modernise services.

By focusing on long-term public investment while keeping an open mind to private sector involvement, there is an opportunity to restore Ireland’s status as a leader in preventive and accessible dental care.

The

IDA’s

solutions-based approach

1. Commitment to collaboration

We will engage and explore all options. We see our role as a critical friend and to provide honest advice on how best to improve access in a way that will secure the support of the necessary critical mass of dentists in private practice or in the public service.

The IDA is of the view that the emphasis should be on rebuilding the public dental service where the real expertise and resources exist to care for children. We are not saying there is not a role for private dentists and we are willing to look at any changes that are realistic, viable and sustainable.

We will engage and explore all options. We see our role as a critical friend and to provide honest advice on how best to improve access in a way that will secure the support of the necessary critical mass of dentists in private practice or in the public service.

We are ready to engage. We look forward to early publication of the Smile agus Sláinte Agreement, and hope that we can find a new way to engage with the Department and the HSE.

Finally, we invited the Minister to attend the IDA Annual Conference and Dinner in the Lyrath Estate Hotel and she hopes to join us over the course of the weekend.

to key issues

n The IDA seeks a positive, structured engagement with the Government and HSE to implement meaningful reforms; and,

n the IDA calls for an oversight structure to manage reforms, ensuring transparency and effective execution.

2. Evidence-based policy recommendations

n The IDA’s four major policy papers provide well-researched, data-driven solutions aligned with international best practices; and,

n the IDA supports the WHO’s Global Oral Health Action Plan and seeks alignment with its principles.

3. Immediate and long-term reform measures

n Short-term: early implementation of mandatory CPD, specialty recognition, and work permit adjustments to address workforce shortages; and,

n long-term: overhaul of the medical card dental scheme, investment in the public dental service, and strategic workforce planning.

4. Ensuring public confidence in oral health reform

n A structured, well-communicated approach will encourage practitioner participation and restore trust in State-supported dental care.

Compassionate leave and force majeure leave

It is important for employers to understand the difference between compassionate leave and force majeure leave.

I recently received a query from a member asking about the legalities surrounding compassionate leave in circumstances where a staff member’s relative had passed away, and what the obligations are.

It is important to distinguish between compassionate or bereavement leave –for which there is no statutory entitlement – and force majeure leave.

Compassionate leave

There is currently no entitlement to leave for an employee following the death of a close family member and there is no legal right to paid leave in times of bereavement. In such circumstances the employer may ask the employee to take annual leave to attend a funeral or take the day(s) as unpaid leave. Alternatively, the practice may have a policy on ‘compassionate leave’ depending on the employee’s contract of employment, custom and practice, or at the discretion of the employer.

Research has found that the duration of compassionate leave and whether this is paid varies based on the employer and the situation, with between three and five days of paid leave following the death of immediate family or parents-inlaw being common, and longer durations usually available following the death of a spouse or a child.

Force majeure leave

Force majeure leave is provided for in the Parental Leave Acts, 1998 and 2006. Essentially, it refers to circumstances whereby due to a sudden injury or illness affecting a member of an employee’s immediate family, the employee’s presence to assist that family member is indispensable and the employee is therefore entitled to immediate paid leave for that purpose.

An employee is entitled to paid force majeure leave for up to three days in any 12-month period, or five days in any period of 36 consecutive months. Part days are regarded as full days for the purposes of the maximum number of days an employee can take.

There is no service requirement for an employee to take force majeure leave and, by definition, prior notice does not arise. But an employee who has availed of the entitlement must immediately afterwards give written notice to their employer that they have taken force majeure leave.

The immediate family members of the employee that are covered for the purposes of force majeure leave are:

n a child/adoptive child of the employee;

n a spouse or person with whom an employee is living as a husband or wife;

n a person to whom the employee is in loco parentis;

n a brother or sister of the employee;

n a parent or grandparent of the employee; and,

n a person who resides with the employee in a relationship of domestic dependency.

Force majeure must relate to an injury or illness of an immediate family member that is not foreseeable or otherwise generally predictable. In addition, neither the magnitude nor the severity of an illness in itself warrants force majeure leave.

Ultimately, it is the unforeseen and sudden nature of the illness or condition that will dictate the right to take force majeure leave.

In the civil service, the criteria for awarding force majeure leave is as follows:

1. The reason is urgent when the officer has to act without delay, there is no advance notice of the illness/injury, and there is little time to plan or manage it, or to make alternative arrangements. In this sense, a scheduled hospital appointment or a routine childhood illness would not attract force majeure leave. An event might be urgent on the first day, but not on subsequent days if the initial urgency has passed.

2. The need for the officer’s presence is immediate when the officer’s presence with the sick person could not have been delayed because of the seriousness/urgency of the illness/injury. The officer had to be with or go to the sick/injured person without any delay.

3. The officer’s presence is indispensable when the situation demands the presence of the officer. Nobody else will do, or will be able to give the support that the sick/injured person requires.

These three criteria for force majeure leave must apply on each individual day for which force majeure is requested, not just the first day. So, while an incident might qualify for force majeure leave on day one, it might not be considered to be applicable for force majeure leave on subsequent days.

Protection of employment rights

During an absence on force majeure leave an employee is regarded as being in the employment of the employer, and retains all of his or her employment rights.

Force majeure leave cannot be treated as part of any other leave (e.g., sick leave, adoptive leave, maternity leave, annual leave, or parental leave) to which the employee is entitled.

If you require further assistance or advice, please contact me in IDA House or email me at roisin@irishdentalassoc.ie.

Digital planning in the contemporary management of amelogenesis imperfecta

Beginning prosthodontic care with the end outcome in mind.

Key learning points:

n when considering any kind of significant irreversible change to the biomechanical and aesthetic arrangement of a dentition, clinicians should begin this process with a clear vision of the end goal in mind, prior to undertaking any operative steps;

n attaining a satisfying treatment outcome relies upon the achievement of a meeting of minds between the patient, the restorative clinician and the dental technician – all stakeholders need to be able to visualise and, where achievable, trial and tailor an intended treatment outcome in order to ensure that treatment expectations can be met; and,

n contemporary tools that may be used to achieve comprehensive restorative planning and communication include the Face Hunter 3D facial scanner, PlaneSystem, and Zirkonzahn.Modifier software, which together offer a complete planning and communication solution according to the Zirkonzahn digital workflow.

Introduction

Amelogenesis imperfecta (AI) is a rare, heritable genetic disorder, from which a global, defective enamel phenotype may arise, which is prone to pain, sensitivity, discolouration and post-eruptive breakdown secondary to widespread enamel hypoplasia, hypomineralisation, or both.1 Like many dental developmental disorders, AI is associated with a clustering of developmental dentofacial defects, such as microdontia, dento-alveolar disproportion, and orthognathic malformation. 1 The condition pervasively undermines the aesthetic and biomechanical function of a dentition, but further, it also affects socialisation and imparts a substantial lifelong dental treatment burden upon the affected individual. 2 So distressing are the symptoms, those affected individuals frequently seek out comprehensive restorative-oriented solutions at tertiary care centres 3 and at this juncture, comprehensive planning workflows are required in order to establish an achievable, predictable and precise end goal of treatment.4

To successfully plan and tailor significant changes to the aesthetic and biomechanical arrangement of any dentition, effective communication regarding the reconstruction is necessary between the tripartite stakeholders (patient, clinician, and dental technician), in such a manner as to achieve consensus between the professional’s esoteric understanding of the intended

Dr David McReynolds

treatment outcome and the patient’s untutored expectations of treatment.5 This clinical technique presentation aims to establish how important aesthetic and biomechanical determinants of a pleasing dental reconstruction, such as the locations of the facial midline, inter-pupillary line, ala-tragal line, natural head position and the smile display, may be effectively communicated from clinician to technician, in such a manner as to create an informed and satisfying try-in, or treatment mock-up, which in turn can be used to effectively communicate the intended end goal of treatment to the patient, in a highly visual rhetoric that every stakeholder can understand.

Clinical case

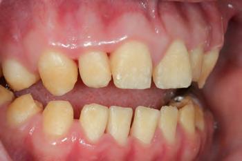
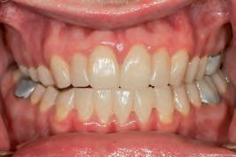
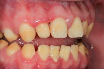
The patient was an 18-year-old male with a confirmed family history of Xlinked AI, who was otherwise in good health and non-smoking. Upon initial clinical presentation, a low-caries-risk, complete adult dentition from second molar to second molar was present, which was globally affected by pitted, hypoplastic and hypomineralised AI, dento-alveolar disproportion and an unusual generalised open occlusion, characterised by one occlusal contact at the right first molar region in the maximum intercuspation position (MIP). Historical paediatric management of the dentition involved placement of stainless steel crowns at the first permanent molar sites to protect the emerging dentition from post-eruptive breakdown and loss of occlusovertical dimension during the mixed dentition phase.6 On adult presentation, all but the UR6 stainless steel crown remained intact. Oral hygiene was poor, with evidence of plaque-induced chronic gingivitis (Figure 1). The patient reported experiencing severe, widespread hypersensitivity upon hot, cold, osmotic and masticatory stimuli, and feeling aesthetically self-conscious. The patient was seeking comprehensive fixed prosthodontic care and was well informed about the nature of such treatment, having witnessed his elder siblings undergo similar treatment.

Initial management

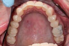
The initial management of the patient’s oral health focussed on a preventive strategy to address the aetiology of his gingivitis. Non-operative oral health strategies were advised to the patient and a programme of full-mouth professional mechanical plaque removal (PMPR) was completed, while ongoing supportive periodontal therapy (SPT) was implemented on a fourmonthly schedule with a dental hygienist (Figure 2).7,8

BA BDentSc MFDS RCSEd DChDent (Pros) FFD RCSI (Pros)

Academic Prosthodontist

Dublin Dental University Hospital

Trinity College Dublin

ORCID Profile: https://orcid.org/0000-0003-4427-1788

Mr Alexander Lichtmannegger MDT Steger Dental Laboratory Zirkonzahn Srl Brunico, Italy

Mr Enrico Steger MDT CEO, Zirkonzahn Srl Gais, Italy

Corresponding author: Dr David McReynolds, Department of Restorative Dentistry and Periodontology, Division II, Dublin Dental University Hospital, Lincoln Place, Dublin 2. E: david.mcreynolds@dental.tcd.ie

CLINICAL FEATURE

1: The patient’s initial situation on clinical presentation to the tertiary care referral centre. The dentition is globally af fected by amelogenesis imperfecta, associated with dentoalveolar disproportion and an unusual presentation of open occlusion.

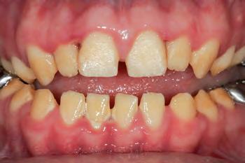
FIGURE 2: Initial treatment focussed on patient-driven improvements in oral hygiene, supplemented by professional mechanical plaque removal and ongoing fourmonthly supportive periodontal therapy. The patient demonstrated a sustained commitment to oral health behaviour change, as evidenced by the establishment of a robust, pale, pink and stable gingival architecture.

Clinical record making

In order to proceed with the digital planning workflow, a series of clinical records were made, which included pre-operative radiographs, clinical photographs and digital intra-oral scans (3Shape; TRIOS, Copenhagen, Denmark). A photorealistic 3D tessellation, or triangulation, of the facial features was generated in real colours using the Face Hunter scanner (Zirkonzahn Srl; Gais, Italy), while patient-specific occlusal information was captured and recorded using the PlaneSystem (Zirkonzahn Srl; Gais, Italy) (Figure 3). When combined, these records allow for efficient communication from the clinic to the dental

laboratory, regarding the precise spatial arrangement of the pre-operative dentition as it relates to key aesthetic and biomechanical determinants of a harmonised tooth arrangement,9 including:

1. The facial mid-line: this in turn determines the ideal dental mid-line location.10

2. The inter-pupillary line and natural head position: this determines the ideal occlusal plane of the maxillary anterior teeth as viewed from the patient’s front.11,12

FIGURE

CLINICAL FEATURE

FIGURE 4: With unparalleled access to high-fidelity clinical information, the dental technician can develop an end goal of prosthodontic treatment wherein the contours of the proposed definitive restorations are informed on the basis of the patient’s physiognomy.

5: A treatment mock-up may be fabricated in a flexible machinable polycarbonate based on the contours of a final proposed restoration, in such a manner as to be capable of fitting to the contours of the pre-operative situation.

3. The smile display: this is a determinant of the incisal edge positions and therefore the ideal tooth lengths and gingival margin locations when viewed from the patient’s front and side profiles.13

4. The ala-tragal line: this is a key determinant of the maxillary occlusal plane as viewed from the patient’s side profile.14

5. Maxillo-mandibular relationships: from which incisor inclinations and interarch static and dynamic occlusal factors may be determined.15

Laboratory planning

At the laboratory, the dental technician may merge these digitised records using Zirkonzahn.Modifier software (Zirkonzahn Srl; Gais, Italy) to form a precise 3D rendering of the patient’s pre-operative dentofacial situation, with all biomechanical and aesthetic landmarks conveniently available for reference. This offers the technician unparalleled, high-fidelity access to key diagnostic clinical information when compared to conventional analogue-based workflows.4 At this stage, an end goal of prosthodontic treatment may be developed wherein the contours of the proposed restorations are informed on the basis of the patient’s physiognomy, or rather, their unique and characteristic facial features (Figure 4).9 The final proposed design may be fabricated into a snap-on smile try-in, or treatment mock-up, using a flexible machinable polycarbonate (Temp Premium Flexible; Zirkonzahn Srl, Gais, Italy) (Figure 5).

Visualise before you provisionalise

At this early stage of diagnostic work-up, prior to any operative intervention, the clinician and the technician can now communicate to each other and, most importantly, to the patient, in an understandable visual rhetoric, a precise end goal of treatment from which a meeting of the minds may be achieved (Figures 6 and 7).5

Conclusions

Given the serious, irreversible and biologically expensive nature of prosthodontic treatment modalities, a precise end outcome of treatment should be visualised in a language that all stakeholders can understand prior to undertaking significant changes to a dentition. Complete digital workflows that allow the combination of dentofacial 3D data are emerging as an indispensable contemporary tool for restorative clinicians.16

FIGURE 3: Identification of the ala-tragal line with black marker in preparation for recording of occlusal-specific information using the PlaneSystem. Threedimensional facial tessellation scanning, achieved with Face Hunter, permits merging of an intra-oral scan using Zirkonzahn.Modifier software. Key biomechanical and aesthetic landmarks are now conveniently available for reference at the dental laboratory.
FIGURE

FIGURE 6: Prior to any irreversible and biologically expensive operative intervention, the tripartite stakeholders (patient, clinician and dental technician) of the reconstruction can achieve a precise meeting of the minds in a universally understandable visual rhetoric regarding the intended end goal of treatment.

CRediT author statement:

Dr David McReynolds: Conceptualisation, clinical procedures, visualisation, original draft preparation, writing – review and editing; Mr Alexander Lichtimaneggar: Conceptualisation, laboratory procedures, visualisation, original draft preparation, writing – review and editing; Mr Enrico Steger: Conceptualisation, supervision, writing – review and editing, funding, resources; and Competing interests: Funding was generously provided for the laboratory steps illustrated in this clinical technique guide by Zirkonzahn Srl, Gais, Bolzano, South Tyrol, Italy.

Acknowledgements

The authors thank Mr Paul Dowling of PD Ceramics, Loughrea, Co. Galway, for his generous help in the development of facial tessellation scanning in the case illustrated.

References

1. Crawford PJM, Aldred M, Bloch-Zupan A. Amelogenesis imperfecta. Orphanet J Rare Dis. 2007;2:17.

2. Chen CF, Hu JC, Bresciani E, Peters MC, Estrella MR. Treatment considerations for patient with Amelogenesis Imperfecta: a review. Braz Dent Sci. 2013;16(4):7-18.

3. Aldred M, Crawford PJ, Savarirayan R, Savulescu J. It’s only teeth – are there limits to genetic testing? Clin Genet. 2003;63(5):333-339.

4. Elbashti ME, Aswehlee A, Sumita Y, Schimmel M, Abou-Ayash S, Molinero-Mourelle P. An integration protocol for aligning intraoral scans to facial scans using the nasal geometry reference in a fully dentate patient. Quintessence Int. 2024;55(2):140-146.

FIGURE 7: Close-up extra-oral and intra-oral views illustrating satisfying contours of a proposed definitive restoration.

5. Reshad M, Cascione D, Magne P. Diagnostic mock-ups as an objective tool for predictable outcomes with porcelain laminate veneers in esthetically demanding patients: a clinical report. J Prosthet Dent. 2008;99(5):333-339.

6. Seow WK. Clinical diagnosis and management strategies of amelogenesis imperfecta variants. Pediatr Dent. 1993;15(6):384-393.

7. Needleman I, Nibali L, Di Iorio A. Professional mechanical plaque removal for prevention of periodontal diseases in adults – systematic review update. J Clin Periodontol. 2015;42(Suppl 16.):S12-35.

8. Renvert S, Persson GR. Supportive periodontal therapy. Periodontol 2000. 2004;36:179-195.

9. Blatz MB, Chiche G, Bahat O, Roblee R, Coachman C, Heymann HO. Evolution of aesthetic dentistry. J Dent Res. 2019;98(12):1294-1304.

10. Miller EL, Bodden WR Jr, Jamison HC. A study of the relationship of the dental midline to the facial median line. J Prosthet Dent. 1979;41(6):657-660.

11. Kokich VO Jr, Kiyak HA, Shapiro PA. Comparing the perception of dentists and lay people to altered dental esthetics. J Esthet Dent. 1999;11(6):311-324.

12. Peng L, Cooke MS. Fifteen-year reproducibility of natural head posture: a longitudinal study. Am J Orthod Dentofacial Orthop. 1999;116(1):82-85.

13. Chiche GJ, Pinault A. Esthetics of Anterior Fixed Prosthodontics. Quintessence Publishing, 1994.

14. Xie J, Zhao Y, Chao Y, Luo W. [A cephalometric study on determining the orientation of occlusal plane]. Hua Xi Yi Ke Da Xue Xue Bao. 1993;24(4):422-425.

15. Wiens JP, Priebe JW. Occlusal stability. Dent Clin North Am. 2014;58(1):19-43.

Corresponding author: Dr Ahmed Kahatab E: kahataba@tcd.ie

16. Mangano C, Luongo F, Migliario M, Mortellaro C, Mangano FG. Combining intraoral scans, cone beam computed tomography and face scans: the virtual patient. J Craniofac Surg. 2018;29(8):2241-2246.

Read part I of this series here

Plastics: time for a rethink? Part II: plastic goods in a dental practice

Plastics contribute to climate change, and there may be serious health implications from ingesting them. Practitioners should rethink their use of plastics, and reduce, reuse and recycle – disposal should be considered only where necessary.

Learning outcomes

This article aims to assist the reader to:

n rethink, reduce and reuse plastic consumables and disposables in dental practice; and,

n better manage all types of dental waste, including recycling.

Introduction

There’s no denying it: plastics use and waste are ubiquitous. In part I of this short series (published online only – read the abstract on page 92, or scan the QR code above to access the full article), we considered the proliferation of plastics in the environment, along with their environmental damage and the health effects, actual and potential, for wildlife and humans. The proliferation of plastics, macroand micro-, is compounded by their longevity in the environment.1 The evidence is building that plastic is a worrying pollutant.

The four Rs

The EU waste hierarchy (Article 4, Directive 2008/98/EC) establishes actions based on sustainability, which prompt us to have ‘Rethink’ at the top of that hierarchy.2 Many of us think of the Rs in waste management, at home and at work. The list may be short or long, but for the purpose of this paper we suggest ‘Rethink, Reduce/Reuse and then Recycle’ (Figure 1). Waste prevention is the key. We can reduce or prevent waste generation by considering whether we need the plastic product at all, exploring alternatives in either product or material and, most importantly, avoiding single-use or disposable products. We need to reduce what we buy and reuse what we can.

Reduce the amount of single-use instruments

Single-use plastics are produced by an energy-intensive process and have a considerable carbon footprint as well as being pollutants.3 Reusable instruments are more environmentally friendly and pose fewer risks to human health compared to their single-use counterparts. Dentists aiming to adopt ecoconscious practices are encouraged to opt for reusable instruments where possible.4 Reducing the use of single-use and other plastics will reduce the amount of waste and also save money.

Dr Ahmed Kahatab

Specialty trainee in special care dentistry

Education lead Past President of Irish Society of Disability and Oral Health

Member of the IDA Quality and Patient Safety Committee

Reduce the amount of plastic barriers

Plastic barriers are used to cover hard to clean equipment such as air/water syringes, dental light handles, curing lights, and other difficult to clean areas. Manufacturers should be encouraged to produce equipment with easily cleaned handles, controls, and other areas that are regularly handled. This is already happening and improved design of equipment should reduce the use of barriers. A risk assessment should be carried out to examine the need for the use of any barriers, and they should only be used if there is no alternative. Infection control guidelines should consider the infection control advantages of the use of barriers, but this should not be done without a detailed understanding of the environmental impact of these barriers. Reduction in the use of barriers would also save money.5,6

Reduce single-use gowns

The ecological impacts of disposable personal protective equipment (PPE) arise from multiple stages, including its manufacture, transport to dental clinics, and disposal. The production of polypropylene, polyester, and other synthetic fibres from oil is a

Dr Nick Armstrong

Retired Principal Dental

Surgeon HSE Member of the IDA Quality and Patient Safety Committee

Dr Michaela Dalton General dental practitioner HSE Member of the IDA Quality and Patient Safety Committee

Dr Eamon Croke General dental practitioner Part-time lecturer, Dublin Dental University Hospital Member of the IDA Quality and Patient Safety Committee

Dr Brett Duane Associate Professor in Public Dental Health, Dental Science Trinity College Dublin

FIGURE 1: Waste management options. Rethink

significant contributor to global carbon emissions associated with textile production for PPE. The environmental impacts of reusable gowns are considerably lower than those of disposable gowns. Reusable gowns reduce greenhouse gas (GHG) emissions by 66%, energy consumption by 64%, and solid waste generation by 84%.7

Polyester and polypropylene gowns have been available for over 30 years. Although their use peaked during the Covid-19 pandemic, their production, transport, and disposal result in a significant carbon footprint. Modern reusable (washable) cotton, cotton-polyester, or polyester gowns are practical alternatives to disposable gowns due to reduced plastic usage and lower GHG emissions. While cotton is natural, breathable, and biodegradable, it may wear out faster and take longer to dry than polyester. On the other hand, synthetic fabrics release microfibres into the environment every time they are washed. Laundry worldwide results in the release of around 500,000 tonnes of plastic microfibres into the oceans per year.8

The appropriate choice of material should be based on durability, sustainability, and breathability requirements.

Rethink other PPE

The predominant polymer used in surgical masks is polypropylene, with other components typically including polyester and polyetherimide. Their production, transport, and disposal contribute significantly to their carbon footprint. Potential alternatives include:9

n reprocessing surgical masks using moist heat, dry heat, and vaporised hydrogen peroxide;

n using bioplastic-based materials such as sugarcane; and, n using purpose-designed reusable face masks.

Eye protection is typically fabricated from polycarbonate. Visors with disposable face shields have a higher environmental footprint than reusable visors. Therefore, reusable visors are preferred where appropriate, with consideration for less environmentally damaging domestic cleaning solutions.

Regarding gloves, little literature exists on safe and sustainable alternatives to commonly used nitrile and latex gloves. As with other aspects of PPE, the priority should be to reduce their consumption to minimise environmental impact.

Buy from manufacturers that promote reduced packaging

All packaging should ideally be reusable or biodegradable, or just avoided. There are companies, for example Planmeca in Denmark, who supply dental practices with products in reusable bags. Ideally, companies should follow this example: deliver regular orders in reusable boxes and these should be collected by the supply company for further use. Dental practitioners could influence the amount of plastic waste that is generated by manufacturers and suppliers by requesting less packaging waste and the use of reusable packaging where possible. Bigger organisations such as dental hospitals could help influence this across the UK and Ireland.

Use biobased plastic

Bioplastics, made from biobased polymers, offer potential for creating more sustainable plastic life cycles as part of a circular economy. There is often confusion among consumers about certain descriptions of plastics. The term ‘bioplastics’ is often used to describe very different materials, and the terms ‘biobased’, ‘biodegradable’ and ‘compostable’ can be misleading.10 Biobased plastics are not always 100% biological but can also be from fossil fuels. They are not necessarily biodegradable or compostable. It is important to examine the full life cycle of biobased plastics, to ensure

Table 1: Electric or manual toothbrushes? Aids to decision-making.12

Electric brushes

Consider an electric brush where:

n the modest improvement in plaque control associated with these would have a significant impact on the patient’s periodontal disease risk; or, n the patient already uses an electric toothbrush.

Manual brushes

Recommend a manual toothbrush where:

n the modest improvement in plaque control associated with an electric brush would NOT have a significant impact on the patient’s periodontal disease risk; and, n the patient DOES NOT already own an electric toothbrush.

Reduce the environmental Impact by considering:

n sharing toothbrush handles within a family, using separate heads;

n sourcing replaceable heads made from alternative material (e.g., recycled plastic or bamboo); or,

n encouraging responsible disposal at the end of the life of the brush (e.g., plug-in rechargeable electric brushes can be disposed of with other electronic waste through the WEEE system).

Reduce the environmental impact by considering:

n alternative materials such as recycled plastic or bamboo;

n sourcing brushes with replaceable heads; and,

n encouraging responsible disposal at the end of the life of the brush.

that they are beneficial to the environment beyond the reduction in use of fossil resources. Compared to plastics derived from fossil fuels, biobased plastics can reduce carbon emissions, possess beneficial material properties and, in some cases, align with current recycling systems. Certain types may even biodegrade under specific and controlled conditions. However, these benefits may involve trade-offs, including potential disruptions to agriculture, conflicts with food production, ambiguous endof-life processes, and higher production costs.11 There needs to be clear regulation, and investment will be needed to increase production of these bioplastics to a much greater scale in a truly sustainable manner.10,11

Use the right toothbrushes

One of the biggest oral health interventions the dental profession makes is encouraging optimal oral hygiene in our patients for the prevention of periodontal disease and caries. This will often include discussions around choice of toothbrush. When the health of a human population is considered in terms of years lost to illness, disability and early death (disability-adjusted life years/DALYS), studies suggest that, at present, using a plastic toothbrush that is then recycled achieves the optimum balance between the sustainability of the toothbrush itself and the associated DALYS.12,13 Toothbrush choice would ideally take into account the more effective plaque removal provided by an electric toothbrush, but electric toothbrushes have a significantly higher environmental impact than all other types of toothbrush.12,13 It is important to ensure that using an electric toothbrush is necessary to reduce periodontal disease/gingivitis. Table 1 may assist in informing that decision.12

At present there are limited options for recycling toothbrushes and those options are costly (e.g., TerraCycle oral care waste and packaging recycling), but it is hoped that this will improve in the future. Reduce the amount of fossil fuel toothbrushes by promoting replaceable heads as this cuts down on the amount of plastic. Snapping the heads off traditional toothbrushes may mean that the brush can be recycled (depending on the waste management company’s acceptance) and this can result in a reduction in their carbon footprint of almost 90%.12

Manage our waste better

Plastics are used in dentistry as packaging, barriers, screens, protective glasses, PPE such as aprons and gloves, waste bags, and in other areas. Clinical waste and general waste can be reduced by reducing single-use instruments, careful categorisation and segregation, and making sure that anything that can be recycled is, and that anything not clinically contaminated is dealt with using non-healthcare waste techniques. This will reduce the use of yellow/black bags.

Recycling

plastic

According to a 2022 OECD report, plastic waste has more than doubled and only 9% of it is recycled, 19% is incinerated, and about 50% goes into landfill.14 The Environmental Protection Agency’s (EPA) latest figures on packaging waste show that recycling rates remain low at around 30%, with most plastic packaging waste treated by incineration.15 EU Directive 2019/904, on the reduction of the impact of certain plastic products on the environment, was published on June 5, 2019.16 This Directive is primarily aimed at single-use items such as cotton buds, cups, plastic bags, wet wipes, packets and wrappers. We are awaiting an update on progress. Recycling plastic is controversial and is complicated by different types of plastics needing different processes. We should also not recycle plastics that contain toxic chemicals. The term plastic relates to any product with organic polymers of high molecular mass. Plastics are usually synthetic and are most commonly derived from fossil fuels.17 According to a Greenpeace report, recycled fossil fuel plastics often contain higher levels of some harmful chemicals, including toxic flame retardants, benzene, brominated and chlorinated dioxins, and endocrine disruptors.18 In addition, plastic may degrade each time it is reused, so in order to recycle, a small amount of virgin plastic is needed to maintain product quality. Recent research has also highlighted the problem with recycling, with a Scottish study showing that 6-13% of recycled plastic becomes microplastics in the waste management system waste water.19 There are multiple solutions to fossil fuel plastics, but without effective recycling (and elimination of microplastics release) the safest solution is to use reusable systems such as metallic products or 100% biobased plastics.19 A group of 175 countries is trying to negotiate a binding treaty on plastic pollution at the Fifth Session of the UN Intergovernmental Negotiating Committee on Plastic Pollution and slow progress is being made. Recycling is a core part of the discussions and it is hoped that there may be agreement that used plastics are reused and remade rather than dumped.

Healthcare waste

Recycling healthcare waste is also seldom carried out primarily due to multiple fears of cross-contamination. However, it is possible. Regulatory experts need to ensure that all recycled products meet stringent standards, such as article 25 of the EU Medical Devices Regulation and the International Standard for Organisation code 11737-2, which require traceability and often necessitate virgin plastics for medical devices.20,21 A system of recycling medical waste would require effective sorting of different plastics, tracing origins of plastics, and a system that shreds, autoclaves and then completes the recycling process. While fully closed-loop recycling for medical devices may be unattainable, there is potential to increase recycled materials in noncritical components, such as packaging.19

Our daily waste policy priority should be to rethink and reduce our goods consumption, with reuse and recycle as secondary options, and disposal as the last and worst option.

Take home messages

n Plastics are produced from fossil fuels and contribute to climate change; n there are potentially serious health implications from ingested plastics;

n 100% biobased plastics may be biodegradable and not fossil fuel based; n single-use plastics should be avoided; n practitioners should rethink the use of all disposable and plastic products: rethink, reduce, reuse, or recycle; and, n disposal is the last choice in waste management.

References

1. European Environment Agency. Plastics. November 27, 2024. https://www.eea.europa.eu/en/topics/in-depth/plastics?activeAccordion=4268d9b26e3b-409b-8b2a-b624c120090d. Accessed December 20, 2024.

2. European Parliament, Council of the European Union. Directive 2008/98/EC of the European Parliament and of the Council of 19 November 2008 on waste and repealing certain Directives. J Eur Union https://eur-lex.europa.eu/eli/dir/2008/98/oj

3. Duane B. Sustainable Dentistry: Making a Difference. Springer; 2023.

4. Byrne D, Saget S, Davidson A, et al. Comparing the environmental impact of reusable and disposable dental examination kits: a life cycle assessment approach. Br Dent J 2022;233(4):317-325.

5. Hashemizadeh A, Lyne A, Liddicott M. Reducing single-use plastics in dental practice: a quality improvement project. Br Dent J. 2024;237(6):483-486.

6. European Commission. Single-use plastics. December 2, 2017. https://environment.ec.europa.eu/topics/plastics/single-use-plastics_en. Accessed December 23, 2024.

7. Vozzola E, Overcash M, Griffing E. An environmental analysis of reusable and disposable surgical gowns. AORN J. 2020;111(3):315-325.

8. Savelli H. Fashion’s tiny hidden secret. United Nations Environmental Programme. March 13, 2019. https://www.unep.org/news-and-stories/story/fashions-tiny-hiddensecret#:~:text=Laundry%20alone%20causes%20around%20half,almost%20three%20billion %20polyester%20shirts. Accessed January 3, 2025.

9. Walsh LJ. Reusable personal protective equipment viewed through the lens of sustainability. Int Dent J. 2024;74(Suppl 2.):S446-S454.

10. European Commission. Biobased, biodegradable and compostable plastics. February 12, 2018. https://environment.ec.europa.eu/topics/plastics/biobased-biodegradable-andcompostable-plastics_en. Accessed December 20, 2024.

11. Rosenboom JG, Langer R, Traverso G. Bioplastics for a circular economy. Nat Rev Mater 2022;7(2):117-137.

12. Lyne A, Ashley P, Saget S, Porto Costa M, Underwood B, Duane B. Combining evidencebased healthcare with environmental sustainability: using the toothbrush as a model. Br Dent J. 2020;229(5):303-309.

13. Yaacob M, Worthington HV, Deacon SA, et al. Powered versus manual toothbrushing for oral health. Cochrane Database Syst Rev. 2014;2014(6):CD002281.

14. OECD. Global Plastics Outlook: Policy Scenarios to 2060. 2022. https://www.oecd.org/en/publications/2022/06/global-plastics-outlook_f065ef59.html Accessed January 5, 2025.

15. Environmental Protection Agency. Waste packaging statistics for Ireland. November 25, 2024. https://www.epa.ie/our-services/monitoring--assessment/waste/national-wastestatistics/packaging/. Accessed December 15, 2024.

16. European Union. Directive (EU) 2019/904 of the European Parliament and of the Council of 5 June 2019 on the reduction of the impact of certain plastic products on the environment. 2019. https://eur-lex.europa.eu/eli/dir/2019/904/oj. Accessed August 25, 2024.

17. Nayanathara Thathsarani Pilapitiya PGC, Ratnayake AS. The world of plastic waste: a review. Clean Mater. 2024;11:100220.

18. Greenpeace. International Annual Report. Published online 2023. https://www.greenpeace.org/static/planet4-international-stateless/2024/06/10b1dd12greenpeace-international-annual-report-2023.pdf. Accessed August 25, 2024.

19. Brown E, MacDonald A, Allen S, Allen D. The potential for a plastic recycling facility to release microplastic pollution and possible filtration remediation effectiveness. J Hazard Mater Adv 2023;10:100309.

20. European Parliament. Medical Devices Regulation (EU) 2017/745. Publications Office of the EU. April 5, 2017. https://op.europa.eu/en/publication-detail/-/publication/83bdc18f315d-11e7-9412-01aa75ed71a1/language-en. Accessed January 5, 2025.

21. ISO 11737-2. Sterilization of Health Care Products — Microbiological Methods. 2019. https://www.iso.org/standard/70801.html

Motivational factors for choosing dentistry as a career: a survey of undergraduate dental students in Ireland

Précis: Motivational factors influencing future dental students include altruism, employment opportunities, financial security, and independence. Nationality, year of study, and mode of entry influenced these factors.

Abstract

Introduction: Dentistry is a highly sought after university course but the motivations for students choosing dentistry as a career in Ireland are not well understood.

Objective: The aim of this study is to investigate the reasons why students choose dentistry as a professional career in Ireland.

Methods: All undergraduate dental students (n=225) in an Irish university in the academic year 2016/17 were invited to participate in a cross-sectional survey. Participants were asked to rate a list of 12 factors that influenced their decision to pursue dentistry as a career.

Results: The response rate was 85.3% (n=192). The majority of the participants were female (65%), aged between 18 and 23 years (69%) and from the European Union (60%). Over half (55%) entered the programme directly from secondary-level education. The motivational factor with the highest median rating of importance was altruism.

Conclusion: Motivational factors influencing dental students included altruism, financial security, and independence. Having a previous family connection with the dental profession did not feature strongly. Positive previous experiences of dentistry and dental professionals emerged as a new motivational factor. Nationality, mode of entry and year of study influenced the motivational factors of the students surveyed.

Key words: Dental education, motivation, survey, undergraduate students.

Journal of the Irish Dental Association 2025;91(2):88-92

Introduction

International studies indicate that career security and a desire to work with and help people remain consistent motivating factors for studying dentistry.1,2 In a survey of final-year dental students in King’s College London Dental Institute conducted in 2008, financial benefits and professional status were significant influencers in career choice.3 Similarly, a study on first-year dental students’ motivations conducted in Bulgaria in 2013 found that independence, financial security and ‘prestige’ emerged as the predominating motivational factors for

Joe Hallissey Lecturer in Dental Technology Cork University Dental School and Hospital University College Cork

Prof. Ailish Hannigan School of Medicine University of Limerick

choosing a career in dentistry.4 In a study carried out in Malaysia in 2015, academic factors and a desire to work in healthcare and with people were important motivations.5

Motivation is an important factor in the achievement of personal goals. This is particularly relevant when embarking on a challenging university course such as dentistry, where students must perform well academically, develop communication and social skills, and learn fine motor skills.6 The type of motivation (intrinsic or extrinsic) can impact on dental students’ study strategies,

Dr Shane O’Dowling Keane Health Service Executive Dental Services Cork

Corresponding author: Joe Hallissey E: J.Hallissey@ucc.ie

Mary Harrington Dental Nurse Tutor Cork University Dental School and Hospital University College Cork

Dr Noel Ray Cork University Dental School and Hospital University College Cork

self-esteem and academic performance.7 Some motivating factors for choosing dentistry as a career, e.g., altruism, have been linked to higher rates of academic burnout in dental students.8 The relevance of different motivators for choosing dentistry has also been found to vary by demographic factors such as gender and ethnic group, and identifying students’ motivation and career expectations may inform strategies to better recruit and retain a diverse dental workforce.9 While reasons for studying dentistry have been investigated in other countries, such explorations are limited in Ireland. Hallissey et al., in a study of undergraduate dental students in Ireland in 1998/99, found that motivational factors extrinsic to dentistry, such as ease of employment, opportunities for selfemployment and regular working hours, emerged as the most important factors.10 These were followed closely by dentistry being perceived as highly remunerative and by the desire to help/treat people.10 Since then, local entry paths to dentistry have been extended to attract a more diverse range of students, with particular emphasis on postgraduate students. There are currently two universities (University College Cork and Trinity College Dublin) offering dental programmes in the Republic of Ireland, with four routes of entry: directly from second-level education through a central applications system; graduate entry; entry as a mature student; or, entry as an international student. At present in Ireland, there is no formal interview process in order to study dentistry as a career for direct entry from second-level education.

The aim of this study is to investigate the reasons why students choose dentistry as a professional career, and to rank and correlate the factors that prompted the career choice of dentistry in undergraduate dental students attending a university dental school in Ireland. This research aims to explore if differences exist in motivational factors by gender, year of study, between Irish and international students, and between direct entrants from secondary education and mature entrants. Furthermore, this study compares the motivational factors for dental students in the 1990s in Ireland to those who are undertaking dentistry today.

Materials and methods

Ethical approval

Ethical approval for this study was provided by the Social Research Ethics Committee (SREC) in University College Cork (Reference number Log 2016-020).

Participants

All students on the programme (years one to five) in the academic year 2016/17 (n=225) were invited to participate in the study by an independent gatekeeper (dental administrator) who was not involved in the teaching of the programme. Students were provided with an information sheet, consent form, and paperbased self-administered questionnaire.

Survey instrument

To facilitate comparison of the results over time, the majority of questions used were from the pre-tested and validated 1998/99 survey conducted by Hallissey et al 10 Data collected included:

n gender;

n age group;

n nationality (Irish, other European Union country, or non-European Union country);

n year of study;

n type of admission; and,

n whether dentistry was the student’s first choice.

Table 1: Characteristics of students who responded (n=192).

Year of study

Type of admission

Dentistry first choice of career

Students were asked to score a list of 12 factors that may have influenced their choice of degree, from 0 to 10, where zero represents a factor that had no influence on their decision and 10 represents a very influential factor. Students were also provided with the opportunity to specify any other influential factors in a free text question.

Statistical analysis

Categorical data were summarised using counts and percentages. Ratings of importance for factors were tested for normality and summarised using medians and quartiles for skewed data. Non-parametric tests were used to compare ratings across groups (gender, nationality, dentistry first choice or not, type of entry, year of study) with the Mann-Whitney test used for two groups and the Kruskal-Wallis test used for three or more groups. A 5% level of significance was used for all tests. Spearman’s rank correlation coefficient (rs) was used to correlate ratings across factors. SPSS Statistics for Windows Version 24 was used for all analysis.

Results

There were 192 responses to the survey (response rate of 85.3%) and the results are presented in Tables 1-3. The characteristics of those who responded are described in Table 1. The majority of the participants were female (125/192,

65%), aged between 18 and 23 years (132/192, 69%), and from the European Union (116/192, 60%). Over half (105/192, 55%) entered the programme directly from secondary-level education. Of these, the majority (70/105, 67%) had selected dentistry as their first choice of study. For those who hadn’t selected dentistry as their first choice, medicine was the most common alternative (32/35, 91%).

Of the students who had not entered the programme directly from secondarylevel education (e.g., graduate entry or mature students), the majority (51/81, 63%) always intended becoming a dentist. Of the 63 students who already had a primary degree before entering the programme, the most common primary degree was in the biological sciences (Table 2).

A summary of the ratings of importance (on a scale of 0 to 10) for the factors influencing choice of dentistry as a career is given in Table 3, both for the current survey and for the previous survey in 1998/99. The highest median rating of importance in the current survey was given to ‘I want to treat and help people or improve their appearance’ with a median rating of 9. ‘I want to be self-employed/own a private dental practice’, ‘Dentistry has more regular hours than other caring professions’, ‘Dentistry provides good

Primary degree n (%)

Science/life sciences/biology/biochemistry 31 (49.2%)

Health sciences/biomedical sciences/ physiology/kinesiology 20 (31.7%)

Allied health professions 6 (9.5%)

Other 6 (9.5%)

financial remuneration’, ‘I have the option to seek employment overseas’, ‘I have the option to further my career in postgraduate training’ and ‘I like to work with my hands’ also had high ratings of importance with a median of 8. Nationality influenced the rating of the importance of the factor ‘I like to work with my hands’, with non-EU students rating this slightly more important (median of 9 for non-EU compared to 8 for Irish students and 8 for other EU students; p=0.01). Irish students rated the importance of the factor ‘I want to be self-employed/own a private dental practice’ lower than either EU students (outside of Ireland) or non-EU students (median of 6 for Irish students compared to 8.5 for other EU and 9 for non-EU students; p<0.001). Type of entry (directly from second-level education or not) influenced the ratings of ‘I want to be self-employed/own a private dental practice’, with students entering directly from second-level education rating this as less important than non-direct entry students (median of 7 compared to 9; p<0.001). Year of study influenced the ratings of ‘I have the option to seek employment overseas’, with first-year students rating this as less important than students in later years (median of 4 for year 1, compared to 7 for year 4, and 8 for years 2,3 and 5; p=0.016).

There were no statistically significant differences in median ratings of importance given to any of the factors influencing choice of dentistry as a career between males and females in the current survey. There were also no statistically significant differences in median ratings of importance given to any of the factors for students for whom dentistry was a first choice or always intended career compared to those who hadn’t intended becoming a dentist (excluding the factor ‘I always wanted a career in dentistry’).

The strongest correlation between ratings of importance was for factors related to employment conditions and remuneration. There was a strong positive correlation between the ratings of importance given to ‘Dentistry provides good financial remuneration’ and ‘Dentistry has more regular hours

Table 3: Ratings of factors influencing choice of careers (n=192).a

Factor

I always wanted a career in dentistry

Because of advice from a teacher/career advisor/family member

One or more of my relatives are dentists

I can start to practise dentistry independently after graduation

I believe it is easy for a dentist to find employment

I want to be self-employed/own a private dental practice

Dentistry has more regular hours than other caring professions

Dentistry provides good financial remunerationb

I want to treat and help people or improve their appearance

I have the option to further my career in postgraduate trainingc

Median rating Median rating (first quartile, (first quartile, third quartile) third quartile) 1998/99 survey 2016/17 survey

(0, 7)

(3, 9)

(5, 9)

(5, 9)

(6, 9)

I have the option to seek employment overseasc 8 (5, 9)

I like to work with my handsc 8 (7, 10)

a Missing data for up to 12 responses for some items.

b Asked as ‘Dentistry pays better than other job options available to me’ in 1998/99.

c Not asked in 1998/99.

Table 2: Primary degree of student not entering from second-level education (n=63).

than other caring professions’ (rs=0.51, p<0.001) and also between ‘Dentistry has more regular hours than other caring professions’ and ‘I want to be selfemployed/own a private dental practice’ (rs=0.46, p<0.001).

Fifty (26%) of the 192 students who responded provided free text comments on other factors that influenced their choice of dentistry as a career. New motivational factors to emerge from the free text comments related to positive experiences of dental/orthodontic treatment, e.g., “I underwent orthodontic treatment when I was 13 and the results were amazing. It boosted my confidence. I wanted to be able to do the same for others one day,” and “Standard of treatment provided by my own dentist”.

Discussion

The primary aim of this survey was to identify and rank the motivations why students chose dentistry as a professional career in Ireland during the period identified. Three general classes of motivations may be identified: altruism; working conditions; and, family background in dentistry. Both altruistic motivations and working conditions feature strongly in median ratings, with background featuring to a lesser extent. The primary motivational factor was altruism (‘I want to treat and help people or improve their appearance’). Financial security and professional independence were also identified as powerful motivations, with factors including ‘I can start to practise dentistry independently after graduation’, ‘I believe it is easy to find employment’, ‘I want to be self-employed/own a private dental practice’ and ‘Dentistry provides good financial remuneration’ all rating highly. The least important was ‘One or more of my relatives are dentists’. These motivations are commonly reported throughout the international literature. 1-5 Unlike other studies, 9,11 we did not identify any gender differences in motivational factors in our study. In a qualitative study of intrinsic and extrinsic motivations for choosing dentistry by gender, many common motivating factors were identified across genders, i.e., role models, being people oriented and having a strong interest in health sciences. 12 However, gender differences in motivation were found in relation to financial incentives as well as working life and career as a dentist.12 While we did not observe these differences by gender in our study, these differences were found by type of entry (direct or non-direct) and country of origin. Non-direct entry students (i.e., mature students or graduate entry) were more likely to rate financial factors higher than direct entry students. Similarly, international students were more likely to rate financial factors higher than Irish students. This may be due to the increased costs associated with mature or international entry students compared to their direct entry counterparts. There are some notable differences in motivations between the surveys conducted in 2016/17 and 1998/99 in Ireland. The largest change in median rating over time was for students who ‘always wanted a career in dentistry’ (increasing from a median of 3 in 1998/99 to 6 in 2016/17). This increase may be viewed as positive, given the importance of choice and selfdetermination as the type of motivation associated with increased self-esteem and deep study strategies.7 The least important factor in both the 2016/17 and 1998/99 surveys was ‘One or more of my relatives are dentists’ (scoring 0 for both 2016/17 and 1998/99) followed by ‘advice from a teacher/career advisor/family member’ (scoring 5 in 2016/17, 4.5 in 2016/17). This is similar to the findings of Haslach et al. in a study of dental students across Europe, where very few students (2.8%) recorded having been motivated by a ‘high school or college counsellor’.11

Strengths and limitations

The response rate for the survey was high 13 and the gender profile of the sample is broadly reflective of the international population of dental students, with females exceeding males.11 This study was, however, only conducted in a single centre. Although there was a very high response rate, the results cannot be generalised to all dental students. Factors such as the academic reputation, cost and length of the programme were not included in the survey to facilitate comparison with the 1998/99 survey. Differences between the results from the 1998/99 and 2016/17 surveys may also reflect the changes in the dental programme delivered in the university. This survey was conducted before any impact of the Covid-19 pandemic on dental education. A review of the international evidence on the impact of the pandemic highlighted dental students’ concerns about financial and economic security, and uncertainty about employment and the stability of the dental profession in the future.14 Further research is needed to explore whether there are any long-lasting impacts of the pandemic on the motivations of students to choose dentistry in the future.

Conclusions

Dentistry is a highly desirable career for potential students and therefore extremely competitive to access. The main motivational factors influencing dental students included altruism and working conditions. Positive previous experiences of dentistry and dental professionals emerged as a new motivational factor. Background factors such as previous family involvement with dentistry and/or career advice featured least. Nationality, mode of entry and year of study influenced the motivational factors of the students surveyed.

References

1. Al-Hallak KR, Nassani MZ, Heskul MM, Doumani MD, Darwish M. Reasons for choosing dentistry as a career among dental students in Saudi Arabia. Eur J Dent. 2018;12(2):275-280.

2. Kabil NS, Allam GG, Abd El-Geleel OM. Motivational reasons for choosing dentistry as a professional career & factors affecting specialty choice among final year dental students. Futur Dent J. 2018;4(2):308-313.

3. Gallagher J, Clarke W, Wilson N. Understanding the motivation: a qualitative study of dental students’ choice of professional career. Eur J Dent Educ. 2008;12(2):89-98.

4. Avramova N, Yaneva K, Bonev B. First-year dental students’ motivation and attitudes for choosing the dental profession. Acta Med Acad. 2014;43(2):113-121.

5. Che Musa MF, Bernabé E, Gallagher JE. Students’ motivation to study dentistry in Malaysia: an analysis using confirmatory factor analysis. Hum Resour Health 2015;13:47.

6. Sim MY, Tan LF, Adam L, Loch C. No one is born with it: Australasian dental students’ perceptions of learning manual dexterity. J Dent Educ. 2023;87(1):60-69.

7. Orsini CA, Binnie VI, Jerez OM. Motivation as a predictor of dental students’ affective and behavioral outcomes: does the quality of motivation matter? J Dent Educ. 2019;83(5):521-529.

8. Mohebbi SZ, Gholami M, Chegini M, Ghoreyshi Y, Gorter RC, Bahramian H. Impact of career choice motivation on academic burnout in senior dental students: a crosssectional study. BMC Med Educ. 2021;21(1):52.

9. Waylen A, Barnes O, Kenyon P, Neville P. Can motivations for studying dentistry inform us about gender and BME differences in dental academic careers? Br Dent J 2017;222(1):13-15.

10. Hallissey J, Hannigan A, Ray N. Reasons for choosing dentistry as a career: a survey

of dental students attending a dental school in Ireland during 1998-99. Eur J Dent Educ. 2000;4(2):77-81.

11. Haslach SD, Aytepe Z, Kokkari A, Azrak B, Ehlers V, Herz MM, et al. Country and gender differences in the motivation of dental students – an international comparison. Eur J Dent Educ. 2018;22(4):e724-e729.

12. Kærsgaard JLB, Christensen MK, Søndergaard PY, Naukkarinen J. Gender differences in dentistry: a qualitative study on students’ intrinsic and extrinsic motivations for entering dentistry at higher education. Eur J Dent Educ. 2021;25(3):495-505.

CPD questions

To claim CPD points, go to the MEMBERS’ SECTION of

www.dentist.ie and answer the following questions:

1. Which of the factors influencing choice of dentistry as a career had the highest median rating in the 2016/17 survey?

l A. I want to treat and help people or improve their appearance

l B. I want to be self-employed/own a private dental practice

l C. Dentistry has more regular hours than other caring professions

l D. Positive experiences of dental/orthodontic treatment

l E. I always wanted a career in dentistry

Quiz

Submitted by Dr Clair Nolan.

13. Al Khalaf K, O’Dowling Keane S, da Mata C, McGillycuddy CT, Chadwick BL, Lynch CD. Response rates to questionnaire-based studies in the contemporary dental literature: a systematic review. J Dent 2022;126:104284.

14. Farrokhi F, Mohebbi SZ, Farrokhi F, Khami MR. Impact of COVID-19 on dental education-a scoping review. BMC Med Educ. 2021;21(1):587.

2. Which of the factors influencing choice of dentistry as a career had the largest change in median rating over time (1998/9 to 2016/7) for students?

l A. I want to treat and help people or improve their appearance

l B. I want to be self-employed/own a private dental practice

l C. Dentistry has more regular hours than other caring professions

l D. Positive experiences of dental/orthodontic treatment

l E. I always wanted a career in dentistry

A 51-year-old female presents with pain when chewing on the left side. She points to the left maxillary first molar tooth. She has avoided eating on the left side for the last three months as she sometimes experiences a sharp pain for a few seconds when chewing on that side. She has noticed some temperature sensitivity over the last couple of weeks while having cold drinks. The pain does not happen spontaneously and does not wake her at night. An examination does not identify any caries, and all left side teeth respond normally to cold testing. There is no tenderness to percussion or palpation identified. A bitewing radiograph is taken (Figure 1) and you suspect a cracked tooth (CT).

Questions

1. What test can you perform to help identify a CT?

2. What are the potential aetiological factors for a CT?

3. What treatment options are available to treat a CT?

3. Which of the following factors emerged as a new motivational factor in the comments from students in the 2016/17 survey?

l A. I want to treat and help people or improve their appearance

l B. I want to be self-employed/own a private dental practice

l C. Dentistry has more regular hours than other caring professions

l D. Positive experiences of dental/orthodontic treatment

l E. I always wanted a career in dentistry

1: Bitewing radiograph.

Answers on page 97

FIGURE

CBCT for general practitioners

CBCT scans can be highly diagnostic and contribute valuable additional information in general practice.

Background

Dental treatment planning relies substantially on dental imaging. As the complexity of dental treatment has evolved, so have our imaging requirements, and cone-beam computed tomography (CBCT) is now becoming more utilised in general practice.1 CBCT uses a cone-shaped beam that rotates around the patient and produces a cylindrical 3D image. This means that in comparison to medical CT, much smaller volumes can be acquired, which have a beneficial effect on radiation dose.2 The aim of this paper is to support the general practitioner to maximise the diagnostic quality of CBCT scans and optimise patient safety.

Applications of CBCT

Despite the advantages CBCT has over conventional 2D imaging, the radiation dose is higher, so CBCT should only be carried out by general practitioners when 2D imaging fails to provide the necessary information for diagnosis/treatment planning. Certain applications of CBCT will be limited to specialist dentistry; for example, evaluation of periodontal bony defects will be primarily done by periodontists. When assessment of the proximity of the inferior dental canal (IDC) to lower third molars or facial trauma is required, these scans will usually be requested by oral or maxillofacial surgeons. Table 1 illustrates the uses of CBCT in general practice.

Limitations of CBCT

CBCT, like every imaging modality, has several limitations. CBCT scans for implant planning are increasing in use. However, it is generally accepted that bone quantity (bone height and width of alveolar crest) can be assessed, but bone quality, which

Procedure

Caries detection Not recommended

Periodontal evaluation Not routinely recommended

Pre-extraction assessment

Used for evaluation of IDC

is traditionally based on Houndsfield units, is only available on medical CT. Bone density encompasses degree of mineralisation, trabecular pattern and morphology, and these are not demonstrated well enough for accurate assessment on CBCT. One of the major limitations of CBCT images is poor soft tissue contrast resolution. This is due to scatter radiation because of structures outside the field of view (FOV) being imaged and included in the FOV. When the X-ray beam interacts with the patient’s tissues, it is scattered in multiple directions and has the effect of degrading image quality. This is particularly challenging where the patient has metallic restorations (Figure 1). Scatter causes streak artefacts, which give dark streaks adjacent to metal and/or bone. White/bright streaks are seen adjacent to the dark streaks. These have the effect of mimicking caries and additional root canals, so must be interpreted with caution.

May be useful for evaluating

Higher radiation dose bony defects/furcation involvement

Can be used to assess root anatomy

Higher radiation dose relationship to lower third molars. and proximity to vital Complicated root morphology assessment anatomical structures

Dental trauma Dental fracture

Implant planning

Endodontics

Can be superior to 2D imaging for Streak artefact from endodontically

Alveolar bone fracture assessment detection of root fractures treated teeth makes assessment difficult

Used for treatment planning/fabrication

Accurate assessment of bone

Limited assessment of bone of surgical guides quantity possible quality possible

Used for assessment of root resorption, Small FOV gives lots of Gutta-percha will produce beam additional canals, complex root anatomy additional information hardening artifacts that can be confused with additional canals

Caitriona Ahern

BDS(Hons) MFD(RCSI) MSc Diagnostic Imaging (Sheffield) PG Cert CBCT Interpretation (KCL)

Clinical Lead in Oral Radiology

Cork University Dental School and Hospital

Wilton, Cork

Corresponding author: Caitriona Ahern E: Caitriona.ahern@ucc.ie

Table 1: Uses of CBCT in general practice.
FIGURE 1: Examples of streak artefact due to metallic restorations.

Clinical tip – metallic artefact reduction

If a patient has a lot of metallic restorations, the patient can be positioned to minimise streak artefact. Metal artefacts will appear in the horizontal plane relative to the patient’s position. If the patient’s head is tilted, the artefacts can be deflected from the area of interest, giving a much more diagnostic scan (Table 2).

Image quality

During a CBCT scan the X-ray tube and detector rotate around the patient’s head, and hundreds of 2D images are produced and captured by the detector. These are then reconstructed into a 3D representation of the area that was scanned. There are four basic parameters that influence image quality: spatial resolution; contrast; artefacts; and, noise.

To help ensure the highest quality diagnostic scan, taking the smallest scan that captures the area of interest has a number of important advantages.

Clinical tip – take the smallest volume scan possible

This achieves:

n reduced noise, as the larger the field, the more scatter that will be incorporated in the scan;

n reduced scan time, which minimises the potential for patient movement;

n reduced radiation dose to the patient; and, n reduced reporting time for the clinician.

Sample cases

Case 1 – assessing bone volume for dental implant placement

In this case, the clinician queried bone volume in the LR6 area for implant placement (Figure 2).

Case 2 – tooth root displacement into the maxillary sinus

This patient was referred after a difficult extraction and the dentist was aware that an oro-antral communication (OAC) was present. The terminal 5mm of the mesiobuccal root could not be accounted for and there was a query whether it was in the sinus. CBCT reveals the presence of a root fragment in the ethmoid infundibulum right maxillary sinus (Figure 3).

Case 3 – endodontic assessment

This patient presented complaining of pain in the upper left lateral incisor. The tooth was tender to percussion, slightly mobile, and a periapical radiograph showed a periapical radiolucency. However, the vitality test was positive. CBCT shows a second, separate pulp chamber, which accounts for the positive vitality test (Figure 4). The main canal had become non-vital and was successfully endodontically treated.

Conclusion

CBCT scans can be highly diagnostic and contribute valuable additional information in certain cases. This will benefit both patients and clinicians in general practice.

References

1. Patel S, Harvey S. Guidelines for reporting on CBCT scans. Int Endod J. 2021;54(4):628-633.

2. Zaman MU. Comparing radiation doses in CBCT and medical CT imaging for dental applications. J Pharm Bioallied Sci. 2024;16(Suppl. 1):S883-S885.

Table 2: Patient positions to minimise streak artefact.

Region of interest

Anterior maxilla

Premolar area maxilla and mandible

Position

Tilt chin up

Occlusal plane horizontal

Posterior maxilla Tilt chin down

Anterior mandible Tilt chin down

Posterior mandible Tilt chin up

FIGURE 2: Case 1 – illustration of the 3D bone volume measurement procedure. Bony height, width and spatial relationship to the IDC can be visualised and accurately measured. In challenging cases, digital imaging and communications in medicine (DICOM) data from CBCT scans may be combined with stereolithographic (STL) data from intra-oral optical scans to fabricate tooth-supported restrictive surgical guides.

FIGURE 3: Case 2 – root fragment identified (red arrow). Note accompanying mucositis (yellow arrow). In health, the normal mucosal lining of the sinus is less than 1mm in thickness.

4: Case 3 – CBCT image showing a separate pulp chamber.

FIGURE

Plastics: time for a rethink? Part I

Purpose: To review recent literature on plastics in the environment and summarise the dangers of plastic both in the environment and their potential health effects on humans. An online search for articles in the scientific literature on the environmental and health effects of plastics, microplastics and nanoplastic particles. Results: The review showed that the production of plastics is increasing worldwide and has spread throughout the environment. Evidence of damage to the environment from all types of waste is increasing, including distressing evidence of sea animals swallowing plastic bags and starving or getting trapped in plastic. Some 81 out of 123 marine mammal species are known to have eaten plastic or been trapped by it. Microplastics could be undermining the food chain in the oceans by reducing the growth rate of zooplankton. There is increasing evidence of potentially dangerous health effects from the ingestion and inhalation of plastics by humans. Approximately, 4,200 chemicals are used in plastics, some of which are toxic. Some chemicals used in plastic manufacture are hormone disruptors.

Conclusion: The use of plastics and their waste is producing dangerous environmental and health effects worldwide. The use of plastics in dentistry needs to be considered with the view of reducing the amount used and the disposal of waste.

J Ir Dent Assoc. Published online, 2024.

Success and survival of composite resin restorations for the management of localised anterior tooth wear: a systematic review and meta-analysis

Aziz IM, Locke M.

Purpose: To systematically review the literature and assess the success and survival rates of anterior composite restorations used in the management of anterior tooth surface loss, and to estimate complete posterior occlusion reestablishment when a Dahl approach is utilised.

Materials and methods: An electronic search was performed in the following databases: MEDLINE via Ovid and Scopus, for articles published from 1970 to November 2020. The systematic review was performed according to the PRISMA and meta-analyses guidelines. Only randomised and non-randomised clinical trials, and cohort studies that involved the exclusive use of direct/indirect anterior composite restorations for the management of localised anterior tooth wear, were included.

Results: From the 724 studies identified through the initial search, six fulfilled the inclusion criteria and were included in the review: three prospective and three retrospective. In total, 141 patients received 1,068 direct and indirect composite restorations. Follow-up periods ranged between five months and 10 years. The survival rate for anterior composite resin restorations reported in this review was 88% (95% CI: 70% to 98%) over a period of two and 10 years; however, high heterogeneity was observed among included studies (I² = 97%). Sensitivity analysis reported survival rates of these restorations of 93% (95% CI: 85% to

98%) over a period of two and seven years (I² = 83%). Success rates were reported for these restorations of 68% (95% CI: 44% to 87%) over a period of two and 10 years, with high heterogeneity (I² = 98%). The success of composite Dahl in re-establishing posterior occlusion was 85% (CI: 73% to 94%).

Conclusions: The results of this systematic review and meta-analysis support the use of anterior composite restorations as a short- to medium-term option for the management of tooth wear. In the long term, patients should be informed that these restorations will require monitoring, repairs, or replacements.

Eur J Prosthodont Restor Dent. 2024;32(4):403-414.

Polymerisation efficiency of different bulk-fill resin composites cured by monowave and polywave lightcuring units: a comparative study

Elsharawy R, Elawsya M, AbdAllah A, ElEmbaby A.

Objectives: The objective was to evaluate the polymerisation efficiency of different bulk-fill resin-based composites cured by monowave and polywave light-curing units, by assessment of the degree of conversion and Vickers microhardness at different depths.

Method and materials: Two commercially available bulk-fill resin-based composites were used: Filtek One Bulk Fill Restorative (3M ESPE) and Tetric NCeram Bulk Fill (Ivoclar Vivadent). The light-curing units utilised were two LED light-curing units: a monowave LED light-curing unit (BlueLEX LD-105; Monitex) and a polywave LED light-curing unit (Twin Wave GT-2000; Monitex). For each test, 20 cylindrical specimens (4mm diameter, 4mm thickness) were prepared from each bulk-fill resin-based composite using a split Teflon mould. Ten specimens were light-cured by the monowave light-curing unit and the other ten were light-cured by the polywave light-curing unit according to the manufacturer’s recommendations. Attenuated total reflectance-Fourier transform infrared spectroscopy (ATR-FTIR) was used to assess the degree of conversion, and a Vickers microhardness tester was used to assess Vickers microhardness. Statistical analysis was performed using three-way ANOVA and Tukey post-hoc tests (p<0.05).

Results: The degree of conversion and Vickers microhardness in bulk-fill resinbased composites containing only camphorquinone as photo-initiator were similar when cured with either monowave or polywave light-curing units. However, bulk-fill resin-based composites containing a combination of photoinitiators exhibited a significantly higher degree of conversion and Vickers microhardness when cured with a polywave light-curing unit. Although all groups showed statistically significant differences between the top and bottom surfaces regarding degree of conversion and Vickers microhardness, all of them showed bottom/top ratios >80% regarding degree of conversion and Vickers microhardness.

Conclusion: The polywave light-curing unit enhanced the polymerisation efficiency of bulk-fill resin-based composites, especially when the latter contained a combination of photo-initiators, but does not prevent the use of a monowave light-curing unit.

Quintessence Int. 2024;55(4):264-272.

PRACTICE MANAGEMENT

A burning issue

Burns from handpieces can sometimes occur during oral surgery.

At Dental Protection, cases where patients have reported iatrogenic lip burns following the surgical extraction of lower wisdom teeth are not uncommon. As it is of course in everyone’s best interests to reduce the incidence of these preventable injuries, this article discusses some potential reasons for surgical burns, makes practical suggestions to avoid these injuries, and advises on the best prompt actions to take should an injury occur.

Delicate tissue

Many dentists might be unaware of just how very delicate skin really is. We can perceive pain from skin at just above 43°C; however, burns occur when the temperature at the dermo-epidermal junction exceeds just 44°C.1

Information overload

The surgical extraction of lower wisdom teeth puts the operator at risk of information overload: a relatively complex procedure, in small, relatively inaccessible locations surrounded by important anatomical structures, with stringent consent requirements, is challenging. The extra protections needed over and above routine dental precautions may mean that we fail to spot a relatively small rise in the temperature of a handpiece.

Decontamination

The rise of best practices in decontamination2 has had several unintended impacts on handpiece temperatures.

Autoclaves

Freshly autoclaved nstruments are going to be very hot! Dental autoclaves normally run at either 121°C or 134°C, depending on their cycle, with saturated steam at high pressure to decontaminate instruments. In any operatory, these instruments may still be over the burn threshold when surgery starts.

Lubrication

Rotary instruments need appropriate lubrication according to manufacturer’s guidelines to ensure that processing and autoclaving does not strip internal oils from bearings, etc. If lubrication is stripped out by these processes, internal friction, or seizing of components, may make the handpiece rapidly increase in temperature, to the point where it might burn skin or mucosa.

Coverage

The use of bagging during autoclaving and the use of sterile plastic sheaths to reduce contamination during surgery delays the natural cooling into the air via radiation and

convection. Conduction of handpiece heat to the operator is reduced by the wearing of surgical gloves, depriving the surgeon of vital information on temperature.

Draping

Draping patients reduces awareness of where instruments are in relation to the anatomical structures.

Seven top tips

1. Equipment selection – ensuring that the correct equipment is used at the correct time and saying no should the equipment available not be appropriate for the procedure.

2. Retraction – finding a retractor that suits you is a very personal choice. Protection of soft tissues, reflection and sufficient retraction all rank highly as factors when choosing a suitable instrument.

3. Testing – is the handpiece running smoothly outside the patient? Does it feel smooth and sound normal? Is the bur running true? Is the bur new? Is the water cooling working and can the exhaust gases be felt (where rear-vented)?

4. Temperature – have you checked the temperature of the handpiece prior to placing it inside the mouth? Can you check the outside of the autoclave bag against this area of skin, while the handpiece stays safely uncontaminated, but in very close proximity?

5. “Stop, Look, Ask” – having put yourself into your desired surgical position, STOP prior to using the handpiece, move around to LOOK at your patient from several angles, and finally ASK your assistant in the surgery or theatre if they can see any contact between handpiece and cheek/lip. This allows you increased opportunities to identify and reduce the risk of skin burns.

6. “It takes as long as it takes” – rushing is not going to reduce the risk of burns or other clinical errors.

7. [For clinic owners] – follow the handpiece manufacturer’s maintenance protocols and code of practice relating to infection control in dentistry.3

Time constraints

Surgery time is increasingly expensive, so there is a natural tendency to try to be efficient. When time is short instruments are more likely to be just out of the autoclave, thus hotter and at a greater risk of causing burns. Running late is one of our common causes of errors and complaints. Remember ‘HALT’ – when we are Hungry, Angry, Late or Tired, more errors occur.

If a burn occurs

If a patient receives a burn, prompt action can reduce scarring and patient anxiety. This may help to reduce the risk of escalation, and the subsequent stress and anxiety this causes.

Immediate actions

Firstly, remove the heat source, if still present. Don’t remove anything else that is stuck to the skin, mucosa or the vermillion border, to prevent further damage. Secondly, cooling, if done promptly, will reduce the risk of scarring. Do not use ice or greasy substances. Cool the burn for 20 to 30 minutes with clean, lukewarm or cool water if

possible. Thirdly, onward referral. Consider the Emergency Department on an urgent basis for large, deep or serious wounds, or a local specialist dermatologist if less urgent. Consider painkillers, and coverage of the wound to prevent infection, as well as considering susceptibility to infection (diabetes, immunosuppression, etc.) for the period until they can be seen. Wounds that extend from vermillion border to facial skin will be more challenging to encourage healing without scarring. Let the specialist(s) decide when superficial treatments can be optimally started.

Contact your indemnifier

A discretionary indemnifier, such as Dental Protection, is able to provide prompt confirmation that they will meet these urgent remedial treatment costs. Patients who are financially disadvantaged are more likely to complain or initiate claims for compensation. We have assisted many members by meeting the costs of hospital and dermatology consultations and treatment. In our experience, the quicker patients receive treatment, the less likely they are to escalate matters.

Transparency

If you suspect that a burn has occurred, you should advise your patient at the earliest opportunity. As well as explaining to your patient why you are providing immediate action, there are good reasons to make this disclosure and apologise to the patient as soon as possible:

n dental registrants in Ireland have certain obligations in relation to adverse events as per the Dental Council’s Code of Practice relating to Professional Behaviour and Ethical Conduct (2022), Section 8.1 of which states: “You must tell your patient of the nature and possible consequences of an adverse event, if there is one during treatment. You must tell them either at the time or as soon as possible afterwards. You must take the steps necessary to address any harm caused to the patient, including advising on, or arranging for, further treatment or care if it is required”;4

n many patients have identified the lack of an apology as a reason for them initiating a claim for compensation; and,5,6

n be reassured by the Code of Practice: Professional Behaviour and Ethical Conduct 8.4 that an apology to the patient is not an admission of liability.4

Communication

Dentists who maintain open, transparent and caring relationships with patients appear less likely to be sued and may even be able to retain the patient on an ongoing basis. The style of apology can be very important – an expression of being genuinely sorry for this happening to the patient is very helpful.

References

1. Martin NA, Falder S. A review of the evidence for threshold of burn injury. Burns 2017;43:1624-1639.

2. Irish Dental Association. IDA Best Practice: Decontamination in dentistry. Available from: google.co.uk/url?sa=t&rct=j&q=&esrc=s&source=web&cd=&ved =2ahUKEwiXkJDv_PSKAxWyXEEAHT8fHjIQFnoECB8QAQ&url=https%3A%2F% 2Fwww.dentist.ie%2F_fileupload%2FBest%2520Practice%2FDecontamination% 2FDecontaminationInDentistry%2520Intro%2520Text.pdf&usg=AOvVaw1FaIUm6QPtKn4bLYsMjXG&opi=89978449

3. Dental Council of Ireland. Code of Practice relating to infection control in dentistry. 2015. Available from: Infection Control – Dental Council of Ireland

4. Dental Council of Ireland. Code of Practice regarding professional behaviour and ethical conduct. 2022. Available from: Dental Ethics – Dental Council of Ireland

5. Hickson GB, Clayton EW, Githens PB, Sloan FA. Factors that prompted families to file medical malpractice claims following perinatal injuries. JAMA 1992;267(10):1359-1363.

6. Witman AB, Park DM, Hardin SB. How do patients want physicians to handle mistakes? A survey of internal medicine patients in an academic setting. Arch Intern Med. 1996;156(22):2565-2569.

Quiz answers

Questions on page 92

1. Reproducing the pain clinically can help to identify a CT. This can usually be done with a bite test using a tooth sleuth and/or cotton wool. The aim of the bite test is to reproduce the patient's symptoms. If it is unclear whether the maxillary or mandibular tooth is causing the pain, selective local anaesthetic can help to identify the CT.

2. CT aetiology is multifactorial:

• age (most prevalent in patients over 40 years old);

• compromised structural integrity;

• specific cuspal anatomy (e.g., functional cusp);

• posterior location of the tooth;

• parafunction and/or unfavourable occlusal arrangement;

• dietary habit;

• stress generated from restorative procedures; and,

• thermal expansion, contraction, and/or corrosion of restorative materials.

3. A single-stage approach with replacement of the existing restoration, with an immediate definitive restoration using a direct bonded composite with cuspal coverage. Multiple-stage approach with interim treatment (temporary crowns, orthodontic band) followed by review of pulpal status and symptoms prior to definitive restoration of a cuspal coverage indirect restoration. There is no clear evidence on the most suitable restorative treatment approach to manage a CT.

SITUATIONS VACANT

Associates

Associate required for a well-established, busy clinic in Blackrock, Cork. Excellent earning potential, great patients and friendly, experienced support staff. Fully private/PRSI. Part-time position available Thursday and Friday. Contact info@dentaloptionscork.ie

Bowe Dental Fermoy is looking to recruit an associate dentist for two to three days/week. 30yr+ established patient list. Full support team and hygienist. Digital practice, with CBCT, intra-oral and 3D printer. See who we are at www.bowedentalclinic.ie

Dental associate position available in a fully private, busy and multidisciplinary practice in Dublin. 3Shape digital scanner, CBCT scanner, specialists and hygienists on site. Supportive and experienced, friendly dental team. Mentoring and CPD provided. Flexible days/hours available. Contact privatedublindentalpractice@gmail.com

Greater Dublin. Experienced full-time and part-time associate for a busy expanding practice. Supportive, progressive environment. Excellently equipped. Superb support staff. Endo/oral experience helpful. Good long-term prospects. Email niall@innovativedental.com

Associate dentist wanted in new medical centre in Co. Meath – one hour from Dublin. Great support staff, digital X-rays and scanners, and great patient base. Mostly private/PRSI. No Saturdays. Must be IDC registered. Immediate start possible. Contact anfiacloirdeirdrejob@gmail.com

Classified advertisements are accepted via the IDA website –www.dentist.ie – only, and must be pre-paid. The deadline for receipt of advertisements for inclusion in the next edition is Friday, May 9, 2025. Classified ads placed in the Journal are also published on www.dentist.ie for 12 weeks.

Please note that all prices are inclusive of VAT.

Advert size Members Non-members up to 25 words ¤135.30 ¤270.60 26 to 40 words ¤161.70 ¤330.65

The maximum number of words for classified ads is 40. If the advert exceeds 40 words, then please contact: Think Media, The Malthouse, 537 North Circular Road, Dublin 1. Tel: 01-856 1166 Fax: 01-856 1169 Email: paul@thinkmedia.ie

Please note that all classified adverts MUST come under one of the following headings:

4 Situations wanted 4 Situations vacant

4 Practices for sale/to let 4 Practices wanted

4 Equipment for sale/to let

Classified adverts must not be of a commercial nature. Commercial adverts can be arranged by contacting Paul O’Grady at Think Media.

Dental associate position available for new graduate with mentoring available in a multilocation and multidisciplinary practice. Opportunity to work alongside different specialists in a large, well-established, busy private dental practice. State-of-the-art digital facilities. Contact dentalgraduatementorship@gmail.com

Experienced associate required for a busy well-established practice in Dublin 9. Digital X-rays, scanner, etc. Excellent support staff. Hygienist. Private/PRSI. Contact jpdental100@gmail.com

Looking for new associate in Cork City as our colleague is retiring. Private and PRSI only, newly renovated surgery, hygienist, fully computerised, digital X-ray, OPG. Contact dr.astuckenberg@gmail.com

We have an opportunity for a full-time associate. Private practice with orthodontics, implants, oral surgery, general dentistry, hygienists. Cerec, CBCT, 3D printers, I/O scanners, etc. Mentoring for the right candidate. Highly trained support team. Contact deirdre@thejamesclinic.com

Part-time associate dentist required for busy north east practice. One hour from Dublin/Belfast. Must be IDC registered. Contact mbcar06@gmail.com

Dental associate required to join our team in a long-established, non-corporate, fully computerised, private practice in Douglas, Cork. Contact mchristinetarrant@gmail.com

Co. Meath: rare opportunity for experienced associate with well-established patient list and extremely high remuneration, 50/50 split for right candidate. Four days/week. State-of-the-art. Clinical freedom. Non-corporate. Multidisciplinary. Award-winning support team. Contact dentalassociatejobireland@gmail.com

Dental sssociate – Mayo Dental & Implant Clinic. Part/full-time. Modern, well-equipped four surgeries, intra-oral scanners, CBCT. Excellent remuneration, professional, patientfocused, supportive environment in beautiful Westport. Excellent opportunity for professional growth. Some experience required. Available now. Contact Shane@mayodentalclinic.com

Flexible dental associate position available in Dublin. State-of-the-art dental equipment. Opportunity to work alongside a large multidisciplinary dental team with general dentists, specialists and hygienists. Mentoring available. CPD provided. Friendly and experienced support staff. Excellent remuneration. Contact dublindentalsurgeonposition@gmail.com

Kilkenny: associate dentist/endodontist/periodontist required, one day per week for modern, friendly digitalised private practice with general dentistry, orthodontics, implants, hygienist. Excellent remuneration. Contact dentalclinickilkenny@gmail.com

Experienced dental associate required Newbridge Town. Full-time position in exceptional clinic. Full book guaranteed. Be part of a great multidisciplinary team with visiting specialists. Excellent backroom support. Cerec, in-house laboratory, digital scanner, CBCT/OPG. Please send CV to bpm.gmedical@gmail.com

Flexible part-time dental associate position available at a busy, computerised practice. Private, PRSI and medical card. Located Meath, 45 minutes from Dublin. Forward CV to bettystowndental@gmail.com

Dublin 10: associate required. Immediate start. Busy mixed practice, high remuneration, full-time but will consider part-time. Cool place to work. Contact sbarnes@ballyfermotdental.ie

Dentists

Join our dental team in beautiful Christchurch, New Zealand. If you’re ready to take the next step in your career and embrace the beauty of New Zealand, apply now and join us while creating lasting memories. Contact annapagdental@gmail.com

Swords Dental requires an experienced dentist for Saturday appointments (9-3) with flexibility re: days worked. Busy, modern practice with specialist team and relaxed atmosphere. Contact colinpatricklynam@hotmail.com

Dentist required for full-time position in purpose-built clinic in Limerick City. Immediate start available. Contact dr.danaher@alexandradental.ie

Full/part-time dentist required for a busy dental clinic in Cork city centre. Must be registered with IDC. Contact kadentdolata@gmail.com

Donegal. Full/part-time dentist position available for busy practice. Computerised SOE, digital X-rays. Excellent remuneration/staff, private/PRSI/medical card. Email Twintowndentist@gmail.com

Long-established, newly renovated south Dublin practice is looking for a dentist one to two days per week. GMS/private book of patients. Contact dublindentist@gmail.com

Ballincollig: part-time dentist required, busy practice, friendly supportive staff, longestablished practice, non-corporate, private/PRSI, no medical card. Contact leilaballincolligdental@gmail.com

Full-time dentist required for modern, computerised, friendly and expanding practice. Guaranteed minimum ¤130k salary with higher earning potential. Nurse, surgery and any equipment required will be supplied. Excellent support staff. Email your CV to northdublindentalclinic@gmail.com

Dental Care Ireland Waterford – dentist required for part- or full-time flexible hours. Full patient book on offer, private and PRSI only. Visiting specialists, plus experienced, supportive clinical team already in place. IDC essential, must live in Ireland. Contact careers@dentalcareireland.ie

Dental Care Ireland Galway – exciting opportunity for a dentist to join our established practice. Flexible part/full-time hours, offering strong patient book. Fully supported by our friendly, experienced clinical team. High earning opportunity, must have IDC registration and indemnity. Contact careers@dentalcareireland.ie

Part-time dentist required to join our team in a long-standing, busy practice in Dublin 22. Full book. Experienced staff. Great work environment. Please send CV to practicemanager221@gmail.com

Great opportunity for an experienced and highly motivated dentist to join a longestablished, non-corporate private practice in Mallow, Co Cork. Newly renovated, fully computerised. Excellent clinical team support. Contact suzannecurran@aol.com

Full-time dentist required for a busy practice. Private, MC and SW book of patients. Must be IDC registered and living in the country. Contact info@churchstreetdental.ie

We are seeking a general dentist for our stunning Navan clinic. If you’d like to work with an innovative, dynamic, collaborative team with the latest high-tech equipment, Boyne Dental could be the place for you. Contact eve@boynedental.ie

Boyne Dental is seeking a general dentist for our beautiful new Maynooth clinic. If you’d like to work with an innovative, dynamic, collaborative team with the latest hightech equipment, Boyne Dental could be the place for you. Contact eve@boynedental.ie

Join our high-tech, growing practice! iTero and CBCT. We’re seeking an ambitious and motivated general/cosmetic dentist eager to enhance their clinical skills and advance their career. Invisalign certification and cosmetic training provided. Contact eoin@oneilldentalcare.ie

Dentist required, Swords, Co. Dublin for maternity cover. Excellent opportunity to join our friendly team of dentists, hygienist and CDT in our busy practice. Supportive staff, digital, Exact, OPG. Must be IDC registered. Send your CV to accounts@boroimhedentalpractice.ie

Clontarf Orthodontics: position for orthodontist/dentist with interest in orthodontics/aligners. We were established 25 years ago by Dr Shona Leydon. Located on DART line and have an experienced team including three orthodontists and therapist. Full book and excellent terms. Contact shona@clontarfbraces.ie

Full-time dentist required for busy north Dublin general practice. Digital X-rays, OPG and Trios scanner. Friendly staff and dentists. Please contact associatenorthdublin@gmail.com

Specialist/limited practice

Rathfarnham Orthodontics is looking for a specialist orthodontist to join our team. We are a busy specialist practice in southside Dublin. The practice is modern, with a strong support staff. Contact us to chat about this opportunity. Contact isy.keyes@gmail.com

Dental Care Ireland – orthodontist opportunities in our established Dublin and Leinster practices, due to exciting company growth. Flexible days/hours, high earning opportunities offering strong patient books. IDC registration essential and must reside in Ireland. Come join us. Contact careers@dentalcareireland.ie

Dental Care Ireland – oral surgeon opportunities in our established Dublin and Leinster practices, due to exciting company growth. Flexible days/hours, high earning opportunities with strong patient books. Specialist registration essential. Experienced clinical teams in place. Contact careers@dentalcareireland.ie

Paediatric dentist required for multi-location multidisciplinary clinics. Fully private, stateof-the-art practices in Dublin. Excellent remuneration. Experienced, friendly support staff. Flexible day(s) available. Inhalation sedation facilities available. Replacing paediatric dentist returning home. Contact dentalassociatepositiondublin@gmail.com

Prosthodontist required for well-established implant team at state-of-the-art specialist practice, Dublin. Part-time position with potential for growth. On-site digital laboratory, fully digital workflow, CBCT, intra-oral scanner, 3D printer, milling machine. Excellent opportunity. Contact hrmanager@ncdental.ie

Prosthodontist and periodontist required for busy specialist clinic in Killarney. To join existing specialists. Modern clinic with fantastic facilities. Part- or full-time. Contact tomas.allen@kingdomclinic.ie

Periodontist required to join specialist referral practice in Clontarf. Full service of periodontal treatments provided and large volume of implant dentistry. CBCT, scanners, printer in house. Will be joining other surgical specialists and prosthodontists. Contact info@CADentistry.ie

Join our high-tech Blackrock clinic as a periodontist. Utilise cutting-edge technology to diagnose and treat disease, perform surgical procedures, and collaborate with a dedicated team. We offer competitive compensation and professional growth opportunities. CT and laser. Contact tom@seapointclinic.ie

Kilkenny: associate dentist/endodontist/periodontist required, one day per week for modern, friendly digitalised private practice with general dentistry, orthodontics, implants, hygienist. Excellent remuneration. Contact dentalclinickilkenny@gmail.com

Periodontist required for well-established implant team at state-of-the-art specialist practice, Dublin. Full-time position encompassing implant dentistry and periodontics. On-site digital laboratory, fully digital workflow, CBCT, intra-oral scanner, 3D printer, milling machine. Excellent opportunity. Contact Hrmanager@ncdental.ie

Join our team in a well-established practice in Lucan as a specialist orthodontist. Experienced and friendly support staff. Modern practice. Part-time. Contact dr.danielahoitan@gmail.com

Prosthodontist required for large multidisciplinary practice in Dublin. Endodontist, periodontists, hygienists and multiple GDPs on site. State-of-the-art equipment and materials including 3Shape scanner and CBCT available. Experienced support staff. Excellent remuneration. Flexible day(s). Contact dublindentistposition@gmail.com

Endodontist required one to two days per month in multidisciplinary specialist practice in Newbridge Town. Microscope and CBCT on site. Increasing days likely. Please send CV to bpm.gmedical@gmail.com

Prosthodontist or DWSI required to join existing specialist team. Mostly implant-related restorations. Modern clinic. Fantastic earning potential. Tel: 064-776 3010, or email reception@kingdomclinic.ie

Clontarf Orthodontics: position for orthodontist/dentist with interest in orthodontics/aligners. We were established 25 years ago by Dr Shona Leydon. Located on DART line and have an experienced team including three orthodontists and therapist. Full book and excellent terms. Contact shona@clontarfbraces.ie

Dublin: exciting opportunity for monthly sessions. Seeking a motivated orthodontist to replace departing colleague. Opportunity for partnership long term. Fantastic team support. Please send CV to Dublinsmilecenter@gmail.com

Hygienists

Dental Care Ireland t/a Northumberland Dental – great opportunity in our specialist practice in Dublin 4 for a hygienist. Part time flexible, competitive rate, strong patient books. Must have IDC and be eligible to work in Ireland. Contact: careers@dentalcareireland.ie

Hygienist position available in very busy, established dental practice in Dublin. Fully private state-of-the-art multidisciplinary practice. Flexible days/hours. Nursing support provided. Experienced and friendly team. CPD provided. Excellent remuneration. Replacing hygienist who is returning home. Contact dublinhygienistposition@gmail.com

Part-time dental hygienist position three days a week available in a modern busy dental practice in Athlone. Fully private with excellent support staff. Contact athlonedental@gmail.com

Hygienist wanted Sligo. Three days per week. Brand new surgery – digital, Cavitron, airpolish, etc. Good support in practice. Flexible days for the right candidate. Contact info@atlanticdentalcare.ie

Hygienist wanted for specialist dental clinic. To join existing hygienist team. Fantastic equipment and support including dedicated nurse. Great pay and conditions. Killarney, Co. Kerry. Contact tomas.allen@kingdomclinic.ie

Dental hygienist position available immediately. Flexible shifts. Fully private, very busy established dental practice. Experienced and friendly supportive team. Excellent remuneration. Free parking. Contact info@walkinstowndentalcare.com

Part-time dental hygienist position available in busy modern practice as part of a great team at Breaffy Dental, Castlebar. Contact breaffydental@hotmail.com

Seeking a dental hygienist. Four to five days per week available in our busy private dental practice in Limerick. Attractive remuneration and busy diaries. Contact jobs@shieldsdentalclinic.ie

Swords Dental seeks a hygienist for a part-time roll at our busy multidisciplinary practice. Availability for one to two days Monday to Wednesday. Long-established group of loyal patients and fully booked appointments. Contact colinpatricklynam@hotmail.com

Mullingar: hygienist required – flexibility around days and hours to suit the right candidate. Long-established practice (40+ years). Full book (five months plus of confirmed regular patients). Competitive salary, expanding team, fully digital practice, airflow, etc. Contact sue.oconnor2@gmail.com

Dental hygienist: Full-time employee status, join existing team. Very busy Private Sligo Clinic. No weekends/evenings. Excellent remuneration. Beautiful new suite with Belmont chair, IO camera, EMS/US scalers. Desktop silent autoclave. New AI X-ray system. Computerised appointments/records. Contact newsmiledentaclinic@gmail.com

Athboy, Co. Meath. Looking for hygienist to join busy practice, excellent remuneration, great team atmosphere in new clinic. One to two days a week, no weekends, no evenings. Contact anfiacloirdeirdrejob@gmail.com

Dental nurses/receptionists/practice managers/treatment co-ordinators

Dental nurse position starting March/April, offering four days per week in a new stateof-the-art orthodontic clinic. Enjoy a vibrant, fun working environment with nearby parking in a lively and dynamic area. Contact recruitment@terenureorthodontics.ie

Full/part-time dental nurse required for a dental surgery in Dublin 15. Please apply with a cover letter and CV to shbak17@yahoo.co.kr

Dental nurse required for specialist endodontic practice in Oranmore. CVs to rielladp@gmail.com

Dental receptionist and dental nurse required to join our team at busy practice on Dublin’s northside. Reply to martintier4@gmail.com

Dental nurse required for busy modern specialist clinic. Kingdom Clinic, Killarney. Great pay and conditions. Full- and part-time options. Contact tomas.allen@kingdomclinic.ie

Full/part-time dental nursing position available in north Dublin. Flexible days/hours. Excellent remuneration. Friendly multidisciplinary team. Opportunity to work alongside general dentists, endodontist, periodontist and hygienists. CPD provided. Free parking and Dart stop five minute walk. Contact privatedublindentalpractice@gmail.com

Full-time orthodontic nurse – south Dublin. Experienced orthodontic nurse/treatment co-ordinator required for digital-driven orthodontic practice close to major transport links. Apply by sending your CV to caroline.morris@sop.ie

Full-time trainee practice manager – south Dublin. Trainee practice manager required to join our busy, digital-driven orthodontic practice. Significant dental/healthcare experience required. Apply by sending your CV to caroline.morris@sop.ie

Orthodontic therapists

Orthodontic therapist – full-part-time (south Dublin). We’re looking for a qualified orthodontic therapist to join our digital-driven orthodontic practice. Apply by sending your CV to caroline.morris@sop.ie

PRACTICES FOR SALE/TO LET

Long-established Cork private dental practice for sale, single surgery with room for second surgery, computerised, OPG/ceph machine, high gross income. Contact info@oconnordentalhealth.ie

Midlands three-surgery practice, good room for expansion. Leasehold/freehold. Separate decontamination room. Well-equipped/computerised/digitalised. Excellent staff. Active hygienist service. Large patient base. Very strong new patient numbers. Principals available for transition. Significant growth potential. Contact niall@innovativedental.com

Hospital, Co. Limerick: first letting of wheelchair-accessible unit, designed for clinical use. Available for immediate occupancy. Rent ¤950 per month. Contact briananitaos@gmail.com

Dublin City north, Dublin 3. Practice for sale. Freehold. Long-established practice. Owner retiring, two surgeries, room to expand. Private, PRSI, medical card. Very good equipment, scanner and dental mill. Associate available part-time. Parking spaces. Contact kenjodonnell@gmail.com

South west Dublin. Own front door in an excellent location and walkinable. Longestablished two-surgery active private practice, hygienist in place. Decontamination, computerised/digitalised, super support staff. Ample room to expand services/facilities. On-site parking. Area wide open. Contact niall@innovativedental.com

Practice for sale in south Kerry tourist town. Three modern, fully equipped surgeries. Dental imaging. Two dentists, one hygienist. Large catchment area. Contact Kerrydentalsurgery24@gmail.com

Recently renovated ground floor rooms to let in centre of Bray. History of longestablished dental practice, 35 years approx. ¤2,000/month. Contact Richard McDonnell Properties. Tel: 0404-42828 or email sales@mcdonnellproperties.com

As a member of the Irish Dental Association you can use this logo on your website and other practice material. Contact rosalba@irishdentalassoc.ie for details.

A drive for success

In the first of a new series on young dentists who also have fascinating interests beyond the clinic, we talk to Lisa Maguire, who left the world of professional golf behind for the dentist’s chair.

Lisa is currently in her final year at Cork University Dental

School.

Why did you choose dentistry?

I came to dentistry as a mature student. It was something I’d always considered doing, ever since the Leaving Cert, but I got the opportunity to take up a golf scholarship in the United States and decided to put dentistry on hold. However, it was an idea that never went away, and every year I would re-apply. Then, during Covid, I received an invitation to an interview to be accepted as a mature student and I was offered a place. It seemed like the right time to go for it and it was the best decision I’ve made.

What are the benefits of coming to dentistry later?

I think being a mature student with some life experience behind me has been really helpful. I’m more confident now than my 18-year-old self would have been, especially when it comes to the people skills involved in dentistry. I also feel like dentistry is something I’m doing for myself now. I feel more settled and able to focus.

What is your favourite subject in dentistry?

I’ve really enjoyed my oral surgery rotation, and oral medicine within that. I’ve found it fascinating, and really enjoy the holistic approach to caring for patients who can be very unwell. It’s something I’d like to continue in a postgraduate capacity, although I’m not sure I’m ready to go back and study medicine!

What do you find most challenging about the course?

The move from a predominantly theory-based course to the clinical environment in the hospital is very challenging. You’re responsible for patients, not just clinically, but also in terms of managing appointments and follow-up. You really have to develop good time management skills to manage your clinical workload and study. I think being a mature student helped – at first my fellow students laughed at my spreadsheets where I kept track of everything, but I think they learned to see the value of them! It’s also challenging to manage time away from study to make sure you get a break and don’t burn out, but it’s really important to do that too.

Can you name a lecturer/mentor you admire and why?

I’ve had so many lecturers and mentors who have supported me. Dr Fiona MacSweeney has been a great support and a fantastic lecturer from the very beginning. She’s also shown a great understanding of my background in sport, and the challenges of moving from a super-competitive environment and adjusting to life in dental school. She really cares about the students as people, our struggles and successes.

What do you think are the big issues for dentistry right now?

I come from rural Cavan, and I’m very aware that there are fewer practices and fewer dentists outside of the big towns and cities. It would be great if we could find a solution to provide dental care to underserved populations, so that people can access the oral care they need.

Tell us about an interest you have outside dentistry.

From the age of nine or ten, golf was my life, and I competed internationally at amateur and professional levels, alongside my twin sister Leona, as well as working for a while in golf management. It was a fantastic few years where I got to travel the world, and I’ve continued to travel with my sister during the summers while I’ve been in dental school. Over the last few years my studies have taken over and golf has been something I played to wind down and for some time away from study, but I’m looking forward to getting back to it to some extent after I graduate.

Lisa Maguire competed internationally at both amateur and professional levels.

Turn static files into dynamic content formats.

Create a flipbook
Issuu converts static files into: digital portfolios, online yearbooks, online catalogs, digital photo albums and more. Sign up and create your flipbook.