JIDA

Page 1

Journal of the Irish Dental Association Iris Cumainn Déadach na hÉireann JIDA
Volume 70 Number 2 April/May 2024
Silver diamine fluoride

Cristiane da Mata BDS MFD (RCSI) Dip TLHE MPH PhD journaleditor@irishdentalassoc.ie DEPUTY

McReynolds BA BDentSC MFDS RCSEd DChDent (Pros) FFD RCSI EDITORIAL

Dr Clair Nolan BDS (NUI) MSc (Endo) U. Lond

Dr Adedeji Daniel Obikoya BChD MFDS (RCSI) MSc

Dr Judith Phelan BDS (NUI) MDS (NUI) MSc (U Lond) MRD (RCS Eng and Glas) Dr Patrick Quinn BCL BDS LLM MDPH

Dr Catherine Vaughan BDS (NUI)

IDA PRESIDENT Dr Eamon Croke

IDA CHIEF EXECUTIVE Fintan Hourihan

CO-ORDINATOR Liz Dodd

please see: https://jida.scholasticahq.com/for-authors

70 73 66 93 57 EDITORIAL Learning to go with the flow 59 ASSOCIATION NEWS 61 ADVOCACY AND CAMPAIGNS UPDATE Change is needed to protect patients 62 IDA NEWS Tribute to Dr Barry Harrington; Colgate Caring Dentist Awards; Upcoming CPD courses 67 BUSINESS NEWS All the latest news from the trade 70 NEWS FEATURE A feast for the east 73 FEATURE Celebrating international ties – Annual Conference preview 83 PRACTICE MANAGEMENT Finding fulfilment in dentistry 85 PEER-REVIEWED A service evaluation of patients requiring growth modification in a public service setting N. Lemasney, N. O’Rourke, T. Fahey, L. Dobbyn Ross 89 QUIZ 90 CLINICAL FEATURE Sustainability in dentistry part II: Sustainability and the use of chemicals in dentistry 93 CLINICAL FEATURE Silver diamine fluoride for treatment of caries in the primary dentition 96 NEW DENTAL SCIENCE 98 CLASSIFIEDS 106 COMMITTEE PROFILE The Annual Conference Committee 79 MEMBERS’ NEWS 4 IDA members vote to accept public service pay agreement 4 Recruiting and retaining the right staff
EDITOR Dr
EDITOR Dr
BOARD Dr Meriem Abbas BDS (NUI) MFDS RCSEd
HONORARY
David
Dr Geraldine McDermott BA BDentSc MFDS (RCSI) PGradDip ConSed (TCD) MSc Healthcare Leadership (RCSI)
The Journal of the Irish Dental Association is the official publication of the Irish Dental Association. The opinions expressed in the Journal are, however, those of the authors and cannot be construed as reflecting the Association’s views. The editor reserves the right to edit all copy submitted to the Journal. Publication of an advertisement or news item does not necessarily imply that the IDA agrees with or supports the claims therein. For advice to authors,
Published on behalf of the IDA by Think Media, 537 NCR, Dublin 1 T: +353 1 856 1166 www.thinkmedia.ie MANAGING EDITOR Ann-Marie Hardiman ann-marie@thinkmedia.ie EDITORIAL Colm Quinn colm@thinkmedia.ie ADVERTISING Paul O’Grady paul@thinkmedia.ie Calum Petit calum@thinkmedia.ie DESIGN/LAYOUT Rebecca Bohan, Tony Byrne, Meliosa Fitzgibbon Audit issue January-December 2023: 3,867 circulation average per issue. Registered dentists in the Republic of Ireland and Northern Ireland. Irish Dental Association Unit 2 Leopardstown Office Park, Sandyford, Dublin 18. Tel: +353 1 295 0072 Fax: +353 1 295 0092 www.dentist.ie Follow us on Facebook (Irish Dental Association) and Twitter (@IrishDentists). Th!nk Media MEMBERS ONLY Journal of the Irish Dental Association | April/May 2024: Vol 70 (2) 55
CONTENTS

Learning to go with the flow

With the IDA Annual Conference fast approaching, it is timely to reflect on the value of professional development for both patient care, and also for our confidence and job satisfaction.

It is now my favourite time of the year: the time that precedes the summer, when the days are getting brighter and warmer, and there are so many things to look forward to!

The IDA Conference in April is definitely one of these things. Celebrating international ties, this year’s Conference is a collaboration between the IDA and the American Academy of Fixed Prosthodontics, and features a number of excellent speakers.

Dentists will have a chance to learn more about dental materials, restoration of root canal-treated teeth, sedation, orthodontics, the cracked tooth, and managing the frail patient, among other things. Find out more about the Annual Conference Committee on page 106 and meet the fantastic team that gives their time and enthusiasm to organise this wonderful event every year. The Annual Conference is a great opportunity for dentists to update their knowledge and connect with colleagues, and these are known to be important allies in becoming a successful (and happy) clinician. Improving our skills not only ensures that dentists provide their patients with the best treatment possible, but it can also be a valuable tool to help cope with the stress of the profession.

Finding fulfillment

I was recently talking to a colleague about the burden of burnout, stress and anxiety among dental students and dentists. We were discussing the importance of developing skills that lead to increased confidence, as a way to minimise stress levels.

Differently from medicine, where doctors generally diagnose diseases and provide patients with advice and prescriptions, a dentist’s role consists mainly of operating on patients in order to treat them. Working on a small operative field, which demands focused vision and little movement, obviously has a high physical and emotional cost.

Therefore, it is not surprising that dentists perceive dentistry as being more stressful than other occupations. A recent study in the UK has urged that the teaching of stress management should be introduced in dental schools, after it found concerning levels of stress and burnout among dental students.1

Common stressors in dentistry include managing difficult cases/patients, staying on schedule, a constant drive for technical perfection, and the fear of litigation and making mistakes, especially earlier in the career. Keeping a healthy mindset and finding ways to cope with the demands of this career are therefore extremely important.

Thus, I commend you all to read the article on pages 83-84, where Raj Rattan brings us important reflections on finding fulfillment in dentistry. He discusses the aspects that contribute to job satisfaction, the importance of mentors and friends, and managing stress. I found the concept of ‘flow’ particularly interesting, as it translates what I myself have found over more than 20 years working in the profession: developing skills and knowledge are crucial for our sense of confidence and fulfilment, particularly when undertaking challenging tasks, which then become pleasant.

Flow is that state we find ourselves in when doing something challenging but that we feel determined and confident to do. We feel completely immersed in the activity, or ‘in the zone’. It is a state of hyperfocus and effortless action, which brings a sense of enjoyment.

In order for flow to happen the challenge level of the activity needs to be “perfectly matched to the individual’s skill level”. And that brings us back to the importance of skill development in dentistry, as the more skilled we are, the more opportunities we may have to experience a state of flow.

I think we can all agree on how important professional development is, but as well as ensuring that we provide the best care possible to our patients, evidence shows that dental CPD also increases job satisfaction and enhances a positive work environment.2

Strong content

Last but not least, I would like to highlight the quality of the scientific section of this edition, and invite you to read Dr Natasha Lemasney and colleagues’ article on the effect of treatment prioritisation on treatment time and compliance in children treated with twin block appliances. The second article on sustainability, by Dr Nick Armstrong and colleagues, brings an excellent overview of the dangers of chemicals used in dentistry and helps clinicians to choose safer options. Drs Rona Leith and Isabel Olegário take us through the mode of action, clinical indications and technique of silver diamine fluoride (SDF) to treat carious lesions in children.

References

1. Collin V, O’Selmo E, Whitehead P. Stress, psychological distress, burnout and perfectionism in UK dental students. Br Dent J. 2020;229(9):605-614.

2. Firmstone VR, Bullock AD, Jackson D, Manning R, Davies-Slowik J, Frame JW. Using evaluation to enhance educational support for dental teams in the UK. J Dent Educ. 2010;74(8):892-901.

57
EDITORIAL
Journal of the Irish Dental Association | April/May 2024: Vol 70 (2)

The elephant in the room

Members of the dental profession, like all people, have a responsibility to play their part in tackling climate change.

The Universal Declaration of Human Rights, proclaimed by the UN General Assembly in Paris on December 10, 1948, was a ground-breaking global pledge declaring 30 human rights to be enjoyed no matter who you are or where you live. Seventy-five years later, the UN testified that “climate change poses a serious risk to several human rights, including the rights to life, water, food, and health”.

According to the Gaia hypothesis, the Earth system behaves as a single selfregulating system comprised of physical, chemical, biological and human components. While controversial, the hypothesis furthers a holistic examination of the synergies required to protect our shared planet. It exposes the absence of inherent value of our fragile biosphere. It is over ten years since scientists questioned if we are entering the Earth’s sixth mass extinction. In 2023, extinction rates were 1,000 times above baseline rates.

A UN report (2022) estimates that present policies will see a temperature rise of 2.8oC by the end of the century. A World Bank report (2021) estimates that these policies will result in the migration of 200 million people by 2050.

Sustainable development is a Climate Goal of the UN 2023 Agenda for Sustainable Development. This requires the sustainable consumption and production of goods and services, using resources efficiently and reducing the impact of dangerous chemicals. Now, in the latter phase of the Agenda, only 15% of the Sustainable Development Goals are on track.

The IDA is developing a number of approaches to the UN 2023 Agenda. These include our position paper, ‘Towards Sustainable Oral Health Services: Delivering the WHO Healthcare Strategy for Ireland’, which works to fulfil the ambition of Goal 3 of the Agenda with a clear eye on Goal 10. In addition, the Association’s Quality and Patient Safety Committee is working to bring scientifically based guidance to our members while exploring ‘sustainable procurement’ with dental companies.

This edition of the JIDA publishes, on page 90, the second in a series of articles on the theme of sustainability, which I recommend to you (but I would say that wouldn’t I?).

The Association’s work in this area is still in progress. If you share our concerns, let your voice be heard. We cannot leave it to Government or, even more naively, to the fossil fuel industry, to change their policies. Ultimately, anything that counts starts with one.

A day of celebration

I congratulate Fintan Hourihan, IDA CEO, who is to be awarded the British

Dental Association’s Roll of Distinction in May. This honour recognises the respect in which Fintan is held in international dental politics and, in particular, the strong and supportive relationship he has developed with the NI BDA and the BDA in general. His abilities and friendship were particularly appreciated during the Covid-19 pandemic.

The day in May will have an Irish imprint as our friend and colleague, Richard Graham, NI BDA, is to be inaugurated as President of the BDA just before the awards ceremony. Our congratulations go to Richard and we wish him every success in his office. We look forward to welcoming Richard and John Milne, the outgoing BDA President, to our Annual Conference in Killarney on April 25-27.

The art and practice of enterprise

So, it’s time to pass the baton. In doing so, I wish Rory Boyd as President and Will Rymer as President Elect every success as they take up their offices. It is an exciting time for the Association so we are blessed to have two incumbents of Rory and Will’s ability and energy. Watch that energy give flight to their commitment.

Before I take up a gentle jog on the outside track, I would like to thank everyone with whom I have worked in the past year. Naming names is the road to a downfall because I do not have the space to mention everyone who deserves my thanks, but it would be utterly remiss of me not to publicly acknowledge the Management Committee, which exceeded in every task it undertook to the benefit of the Association. The environment we exist in set many more challenges for our Executive Team who, yet again, rose to those challenges.

This is in addition to the work required by the continued professionalisation of the Association’s operation. Council proved true to its task in providing robust, sound counsel; it’s an invigorating forum. I must also thank all members of our committees whose commitment and energy are indispensable to the identity of our Association. In conclusion, a special thanks to you, the reader.

Barry Harrington, RIP

It was with great sadness that I learned of Barry Harrington's death. Barry meant so many things to different people. If I try to capture him in a word, it is caring. Barry deeply cared, to the day he died, about family, patients, and dentists, especially those under pressure and the profession. The profession is at a loss following his passing. Ar dheis Dé go raibh a anam.

59 PRESIDENT’S NEWS
Journal of the Irish Dental Association | April/May 2024: Vol 70 (2)

Change is needed to protect patients

The recent Prime Time Investigates programme raises yet again the urgent need for legislative and regulatory reform.

Listening to the recent feature on the IDA’s Centenary History on RTÉ Radio

One’s History Show reminded me that when the IDA was founded in 1923, illegal dentistry was the top campaign priority for the new Association. As we enter our second century, we are once again dealing with this issue. The recent Prime Time Investigates coverage of the apparent illegal supply, sale and use of prescription medication raises again some serious concerns about the lack of regulatory enforcement powers available to the Dental Council and other regulatory bodies, including the Health Products Regulatory Authority (HPRA).

The outstanding journalism involved followed a number of other Prime Time Investigates features that have highlighted the urgent need to modernise the Dentists Act 1985. It is interesting that in the wake of the programme the then Taoiseach, Dr Leo Varadkar TD, admitted that stronger licensing and legislation is required to ensure that those who undergo aesthetic treatments are protected. According to the Irish Examiner, he indicated that the Government is working on new laws, which will come under the scope of the Patient Safety (Licensing) Bill, to clamp down on unqualified individuals. Any media coverage on dental matters where there has been a patient at the centre has had a far greater impact than appeals to reasoning and evidencebased decision-making. Therefore, we would appeal to members to share any instances of egregious harm caused to patients either by the absence or the occasion of dental treatment, and which highlights the need for improved regulation and reform of legislation.

The Government has modernised legislation in many cases as required by other professions but unfortunately this hasn’t been the case for dentistry. Both the Association and the wider profession want a stronger regulatory regime, which upholds the highest standards for practitioners and patients. The IDA has again asked the Minister and the Oireachtas to prioritise reform of the Dentists Act, and for publication of the Patient Safety (Licensing) Bill. Without those legislative changes, Irish patients will see themselves in the scenario outlined in the Prime Time programme time and time again.

Spotlight on sustainable oral health

We also took the opportunity in our correspondence to politicians to highlight the new IDA position paper on sustainable oral health. This paper builds on the World Health Organisation’s (WHO) strategy to integrate oral healthcare into universal healthcare, and outlines the necessary steps to ensure successful reform of our health services in Ireland. We have sought some immediate changes in legislative reforms and have indicated that these will be necessary to build confidence within the dental profession as we get ready to

enter serious discussions on the roll-out of Smile agus Sláinte, which is now five years old.

We have already received very favourable responses to this position paper, and there is no doubt that it will form the agenda for our public affairs and representation work in the coming years. Particular thanks are due to our outgoing President, Dr Eamon Croke, who has put a huge amount of effort into getting this paper published. He has shown an outstanding commitment to ensuring that the Association is engaging in an appropriate, proactive way with the WHO agenda. He is to be commended and I wish to thank him personally for his unstinting efforts in this regard.

Public service pay and other negotiations

The ballot on the new public service pay agreement has shown an overwhelming majority of members in favour of the terms on offer. The Association balloted almost 200 members who work either in the HSE or in dental hospitals, both full-time and part-time. The negotiations were long and exhaustive, and the Association put huge resources into ensuring that we were in attendance throughout.

The Association is meanwhile continuing discussions with the HSE and the Department of Health concerning the future of the public dental service. We will continue to ensure strong representation for all our members in both public and private settings.

We are pleased to see that an overwhelming majority of dentists have returned updated contracts compliant with competition legislation to the Department of Social Protection, which include an increase in the examination fee for DTBS patients. The fees paid by the State have never been and will never be commensurate with those charged privately, but we do see some significance in securing an annual review of fees and the first increase for many years. The Association will continue to represent members in the year ahead as we prepare for another fee review but, in the first instance, we wish to see some changes made to the fee review process as provided for in the framework agreement negotiated with the Department of Social Protection.

I wish to conclude by calling on members to consider getting involved in the very many structures within the Association. There are places available on regional committees, on our GP and HSE Dental Surgeons Committees and, ultimately, there is a clear pathway to leadership positions within the Association. This is your Association for your profession, led and organised by dentists for dentists, so please contact us if you want to get involved.

61 ADVOCACY AND CAMPAIGNS UPDATE
Journal of the Irish Dental Association | April/May 2024: Vol 70 (2)

Dr Barry Harrington, RIP

The Irish Dental Association wishes to extend its sincere condolences to the family and friends of Dr Barry Harrington, a distinguished former IDA President whose death occurred recently.

Barry held many different roles within the Association and attained its ultimate high office, serving as President in 1997/98. Previously, he served as Honorary Secretary and Treasurer of the Metropolitan Branch and as its President in 1981. He was elected to the Council of the IDA in 1974 and in 1987, and served as its Honorary Treasurer in 1987.

Following in his father’s footsteps, Barry graduated from the RCSI in 1964. He worked initially in Northern Ireland for two years before joining his father and Dr Gerry Berney in their practice in North Frederick Street, Dublin. He also held a part-time appointment in the Dublin Dental Hospital from 1967 to 1971. Barry was appointed as a Senior Lecturer/Consultant in

General Dental Practice in the Dublin Dental Hospital in 1985. He became widely known to generations of students and dentists thereafter as a wise and considerate mentor. His tenure was also distinguished by a special interest in the care of people with haemophilia, and his care for special care patients in the oncology/haematology department in St James’s Hospital. He was also an active member of the Irish Haemophiliac Society for many years.

In more recent years, Barry served as a judge in the JIDA Dental Awards. He was a great champion of the Awards, and enjoyed attending the presentation dinner with his beloved wife Laura, where he loved to meet many former students, and to celebrate exceptional care to patients.

Dr Barry Harrington was a giant of Irish dentistry and he will be mourned by generations of dentists across the globe. May he rest in peace.

And the award goes to…

The Colgate Caring Dentist Awards return for 2024. A gala ball will be held in the InterContinental Hotel, Ballsbridge, Dublin 4, on Saturday, November 23, to announce the winners and celebrate all nominees.

The Awards are a fantastic way to honour the dedicated work dentists put in throughout the year, and feature categories for dentists and dental teams from around the country, along with an award each for a young dentist, a special case, and for the treatment of a child.

These are the only Awards in Ireland where patients nominate their dentists, so be sure to promote the event in your practice. Nominations are now open at: www.colgatecaringawards.ie.

62 Journal of the Irish Dental Association | April/May 2024: Vol 70 (2) NEWS
Dr Adrianne Dolan was the 2023 Colgate Caring Dentist of the Year.

Show me the money

On Friday, May 17, the IDA will host a day-long seminar at the Hilton Hotel Charlemont in Dublin 2 on the financial issues around running a dental practice in Ireland today. Presentations on sourcing finance, dealing with financial institutions, how to plan for buying/selling a practice, legal issues around selling/buying, and planning for the future with income protection and pensions, will be included on the programme. This event is exclusive to IDA members and is being sponsored by Dental Care Ireland. Lunch is included. To book, go to www.dentist.ie and click on ‘Book CPD’.

Dental compliance webinars

The IDA is delighted to announce a series of dental compliance webinars exclusive to IDA members. Dentistry is a heavily regulated profession, and in association with our Quality & Patient Safety Committee, the IDA will hold a series of webinars on relevant topics, including:

n GDPR including social media –Tuesday, April 16;

n health and safety (including HSA BeSmart tool) –Tuesday, May 21; and,

n medicinal products and the Medical Devices Directive –Tuesday, June 18.

The webinar series will continue in the autumn (dates to be confirmed), with sessions on:

n employment law compliance;

n waste, amalgam and IPC;

n emergency drugs – what do I need?; and, n associates FAQ.

Webinars are ¤50 each, or ¤300 for all topics. Make sure your practice is compliant and tune in for these webinars. To register, go to www.dentist.ie.

65 Journal of the Irish Dental Association | April/May 2024: Vol 70 (2) NEWS

AAFP Chicago 2024

of Fixed Prosthodontics (AAFP)

Dr Aiden Meade Award 2024

The 2024 Dr Aiden Meade Annual Award is now open for submissions

This competition is open to all doctors, dentists and pharmacists registered in the Republic of Ireland, as well as undergraduates attending Irish schools in these three disciplines. Candidates may submit an essay on any topic of their choice that relates to the health and well-being of practitioners. Alternatively, one of the following topics may be chosen:

n explore the impact of practitioner health and well-being on patient safety; or, n explore the impact of a compassionate workplace environment on the health and well-being of practitioners.

The submission deadline is May 17, 2024.

Full details of the award and eligibility criteria are available at https://practitionerhealth.ie/the-dr-aiden-meade-annualaward-2024/.

MY FAVOURITE PIECE OF EQUIPMENT

Dr Lisa Lucey practises at Lucey Dental in Greystones, Co. Wicklow. She says that her favourite piece of equipment at the moment is her new Waterlase iPlus (otherwise known as the all-tissue laser). It is a hard and soft tissue laser that can be used to refine teeth, bone and soft tissue, she says: “I treat a lot of phobic adults and children. One of their biggest fears can be the noise and vibration of the drill. The Waterlase iPlus can be used to remove decay in smaller cavities and deciduous teeth, without the use of local anaesthesia. This is especially beneficial to those with sensory issues”.

Lisa says the Waterlase will enable some patients to accept treatment that they otherwise would not be able to tolerate. It is suitable for and efficient at subtle crown lengthening/bone removal around teeth with deep subgingival caries. It also controls bleeding at the site to allow better isolation and subsequently a better restoration.

Lisa is at the beginning of her laser journey and

there are many applications beyond what she has used it for so far. Laser-assisted endodontics is coming to the forefront in the US, where it improves the penetration and activation of the irrigant into lateral canals. However, Lisa says: “The laser does not replace the traditional filing and preparation of the root canals. Further applications include oral surgery, canine exposures, tongue tie release and frenectomies with very little collateral tissue damage. The oral surgeon at my practice is interested in laser training now. There will be less bleeding in those patients who are on blood thinners, where haemostasis can be more difficult to manage. It will improve the patient experience, reduce postoperative inflammation, and shorten postoperative healing times”. More recently, it has been used by more experienced laser dentists (with great success) in the prevention and treatment of oral mucositis associated with chemo and radio therapies. Finally, Lisa says: “This is not a replacement for the drill. For example, it cannot be used with amalgam. It is an additional tool that will enhance our patients’ experience, as well as contribute to better outcomes. Your patients will love you for it!”

66 Journal of the Irish Dental Association | April/May 2024: Vol 70 (2)
Dr Lisa Lucey
NEWS
Pictured at the recent American Academy meeting in Chicago were (from left): postgraduate prosthodontics students from the Dublin Dental University Hospital Dr David McMahon (first year); Dr Annie Hughes (third year); and, Dr Aoife Broderick (first year).

A higher gear with Coltene

Coltene states that its CanalPro X-Move endomotor is characterised by its simple handling and great flexibility. The company explains that the cordless unit can be moved around the chair or between different treatment rooms, and it also has the HyFlex and Micro Mega file sizes programmed into the handpiece.

Coltene is also eager to highlight its BRILLIANT EverGlow composite, which the company states allows clinicians to effortlessly achieve highly aesthetic and longlasting restorative outcomes. The universal submicron hybrid composite offers what Coltene calls convenient sculptability and form stability, as well as excellent polishability and high-lustre.

Another product from the company aims to help dentists achieve predictable endodontics. Coltene’s HyFlex EDM OGSF file sequence includes a new orifice opener and glidepath file for opening the glide path, as well as a shaping file for shaping the root canal over the full length, and a finisher file. The company states that file sizes and tapers are optimised to provide a smooth feeling when changing from one file to another, for better control during treatment. Finally, the company also offers Coltene Rewards, a loyalty programme for customers. Earn Coltene Coins and redeem them on a wide range of high street brands or your favourite Coltene products.

A partner in recruitment

Irish Dental Jobs states that it is the leading dental recruitment agency in Ireland. According to the company: “Our mission is to bridge the gap between dental job seekers and employers, ensuring a seamless and rewarding experience for both".

Irish Dental Jobs states that some of the benefits of working with the company include unlocking hidden talent by tapping into its network of 5,649 vetted dental professionals, saving time and resources by allowing the company to find candidates for your team, and minimising turnover by introducing practices to committed individuals seeking permanent positions.

The company also lists what it states it can bring to dental practices looking to recruit, such as industry insights, a hassle-free recruitment process, and a reliable partnership with your practice. Irish Dental Jobs states: “Our world revolves around people – building and maintaining longstanding relationships”.

Dental Care Ireland in Killarney

Dental Care Ireland states that it is the leading dental group in Ireland, with a dedicated team of over 500 professionals, including 180 skilled and experienced dentists. The company says that as Ireland's premier buyer of dental practices, it is delighted to announce its participation in the upcoming IDA Annual Conference in Killarney, stating that this event presents an invaluable opportunity for practice owners considering a future transition.

Dental Care Ireland CEO Colm Davitt will be in Killarney, and will be available to discuss potential opportunities on a completely confidential and noobligation basis. The company states that if you've ever considered selling your practice and becoming part of a dynamic and progressive dental community, now is the time to act. The company invites dentists to join its representatives at the conference to explore how Dental Care Ireland can elevate their practice to new heights, and says don’t miss this chance to shape the future of your dental practice.

67 Journal of the Irish Dental Association | April/May 2024: Vol 70 (2)
BUSINESS NEWS

A tool for communication

Acteon’s C50 intraoral camera is used by dental and nutritional therapist Nina Farmer in her daily work. Nina says that it is a powerful tool for communication. From the medicolegal aspect, the more information dental professionals record and the better they communicate, the more protected they are if the standard of care is ever questioned. From a sustainability point of view, the C50 helps reduce single-use items; for example, if you make digital disclosing part of your workflow, it prevents the use of cotton wool rolls, disclosing fluid, Vaseline, and micro brushes.

According to Acteon, the C50 has several modes: daylight mode to take high-definition photos; caries mode using auto fluorescence; and, periodontal mode using selective chromatic amplification, which highlights plaque and inflammation.

Nina says: “I get very excited using perio mode, showing my patients inflammation in their mouth. I find this opens discussions about the link between systemic and oral health, and makes it relatable to the individual if they can physically see it”. Nina states that she uses the C50 to treatment plan, explain the pros and cons of restorative materials, break down communication barriers, and in many other applications.

Henry Schein among world's most ethical companies

Henry Schein was named among 2024’s World’s Most Ethical Companies by Ethisphere, a global leader in defining and advancing the standards of ethical business practices. Henry Schein has been recognised since 2012 and is one of only two honourees in the healthcare products industry.

Stanley M. Bergman, Henry Schein CEO, said: “Our company has a long history of holding ourselves accountable to our five key constituencies, who together form our ‘Mosaic of Success’: our supplier partners; customers; Team Schein members; shareholders; and, society at large. Being recognised once again by Ethisphere reinforces Team Schein’s dedication to our stakeholders, our commitment to corporate citizenship, and our mission of ‘doing well by doing good’. The trust that we have built among our constituencies has allowed us to catalyse change in the markets we serve and continue to help make a healthier world”.

The company states that since its founding in 1932, its approach to corporate citizenship has centred around a higher ambition that the social and environmental well-being of the community at large contributes to the success of the company. This recognition is a driving force behind how Henry Schein adapts and evolves to the changing needs of society. Some of the company’s corporate citizenship efforts that it wants to highlight include: advancing public–private partnerships to strengthen pandemic preparedness; strengthening the capacity of healthcare professionals through Henry Schein signature programmes; and, expanding the company’s diversity and inclusion (D&I) learning journey by educating Team Schein members on key D&I topics.

68 Journal of the Irish Dental Association | April/May 2024: Vol 70 (2) BUSINESS NEWS Full Service Laboratory GDC Registered Technicians DAMAS Accreditation Multi Award Winning Based in Belfast McDowell + Service Dental Laboratory Ltd McDowell + Service Dental Laboratory Ltd Unit 4c, Dargon Court, Dargon Crescent, Belfast BT3 9JP T: 028 9037 0708 E: enquiries@mcdowell-service.com www.mcdowell-service.com

A feast for the east

The IDA Eastern Region ASM took place in the Hilton Charlemont in Dublin on Friday, February 23, and offered a wealth of quality speakers on topics including dental photography, contemporary caries management, and talking points in oral surgery.

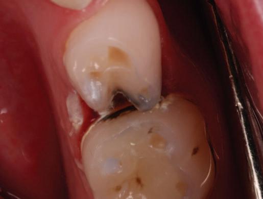
From caries to isolation

The day began with a talk from Dr Isabel Olegário, Assistant Professor in Paediatric Dentistry at the Dublin Dental University Hospital (DDUH). Isabel spoke on contemporary caries management, and emphasised: “Caries is a disease. Caries is not a cavity”. For dentists to do their job effectively, they need to find the causes of the disease. This means looking at behaviour, such as diet and brushing technique, not just treating lesions. Isabel explained that contemporary caries management involves behaviour change, plaque control, diet control, and of course clinical intervention where required. Isabel recommended CariesCare International’s 4D system, available at: https://cariescareinternational.com/category/4d-system/.

Next to speak was Prof. Padhraig Fleming, Professor of Orthodontics at Trinity College Dublin, whose talk was entitled ‘The Orthodontic-Periodontal Interface’, and looked at the effect of orthodontics on attachment loss. There are instances where orthodontics can cause problems, but in other cases it can help. Padhraig noted some risk factors, such as where there is inadequate space, in labially displaced teeth, and in labial movement.

Dr Claire O’Connor presented on ‘Isolation = Restoration’, and the value of the rubber dam in daily dental practice. Adhesive dentistry is here to stay she said, and the rubber dam is essential for this. Some of its benefits include absolute isolation, increased patient safety and comfort, excellent infection control, and improved restorative outcomes. Disadvantages include increased treatment time, soft tissue trauma, and reduced patient communication. Some of Claire’s key takeaways from the talk were that inversion of the rubber dam is essential for successful isolation, so remember to isolate before you remove old restorations, and to get suitably trained and invest in the right equipment.

Optimal aesthetics and surgical tips

Dr Imi Nasser used a range of case studies to demonstrate how to achieve optimal aesthetic restorations. He said that evidence must be at the forefront of treatment, not least because understanding the principles behind what you’re doing allows you to “bend the rules like an artist”. He said that a good relationship with your laboratory is crucial, and showed the value of using software to make final decisions, instruct the lab, and show patients what is possible in their case. Implants are not always the answer, he said: think about bone, soft tissue, emergence profile, and choice of prosthetic, and remember – details matter.

Eastern Region Chair Dr Ambrish Roshan introduced the day’s programme.

There was a change of theme next from the clinical to the human factors in dentistry with Dr Noel Kavanagh of Dental Protection. Noel said that the very best clinicians will make a mistake under certain circumstances. The right systems and processes can reduce the risk of error. Noel outlined a number of strategies, including: speak up – check each other, and welcome being checked; check – use checklists and visual prompts/reminders; repeat back/read back – check that the message sent is the message received; and, ‘huddles’ and simulations – plan how the team will work together, and debrief afterwards to see what worked and what didn’t.

Dr Justin Moloney gave an oral surgery perspective on treatment planning for wisdom teeth. Factors to take into account when considering whether to extract include patient age, medical and social history, signs and symptoms, type and depth of impaction, and root morphology. Justin said don’t extract without good reason, and showed a number of case studies to demonstrate when extraction might or might not be warranted. He finished by advising to “always have a plan B, and if you start something and you don’t know how it’s going to end, don’t do it!”

Dr Greg Creavin moved the discussion to endodontics with a presentation on vital pulp therapy (VPT). The benefits of VPT include maintaining pulp development, and the fact that it is quicker and less destructive than root canal treatment. While there are limitations, particularly around diagnostics and equipment, standardised, evidence-based treatment protocols, and therapeutic-based biomaterials, are on the horizon, and dentists will likely perform fewer root canals in future. He said VPT should be promoted in general dentistry: “This works if done in the right environment, so incorporate it into your practice”.

Finally, Dr Ambrish Roshan presented on dental photography as a vital communication tool for the modern clinician. Ambrish said that good photography has a range of applications, from assisting medico-legal recordkeeping and treatment planning, to patient communication and case documentation. He outlined some basic principles, and offered advice on the pros and cons of different cameras, mirrors, light sources and other tools to enhance photography in the practice.

70 Journal of the Irish Dental Association | April/May 2024: Vol 70 (2)
NEWS FEATURE
Think Media Ltd
Colm Quinn Senior Journalist, Think Media Ltd Ann-Marie Hardiman Managing Editor,

Celebrating international ties

We are fast approaching the IDA Annual Conference 2024, which will see the Association and the American Academy of Fixed Prosthodontics team up to deliver a conference that showcases the best speakers from both sides of the Atlantic.

Meet up with old friends and make new ones at the joint IDA/American Academy of Fixed Prosthodontics (AAFP) Dental Connections Annual Conference. The Conference takes place in the Great Southern Hotel, Killarney, from April 25-27.

Pre-Conference Programme

At the pre-Conference Programme on the Thursday, top speakers will deliver lectures and courses on topics ranging from endodontics to facial aesthetics. Dr Dipesh Parmar hosts a full-day hands-on course entitled ‘Mini smile makeover –one-day hands-on anterior composite masterclass’. Dr Linda Greenwall will present a two-hour workshop (available in the morning or afternoon) teaching whitening and white spot eradication with ICON, while Prof. Paul Brady and Dr Catherine Gallagher provide an update on sedation in dentistry (also available in the morning or afternoon).

Main Conference

The main Conference is packed this year, with the usual programme of speakers, along with the AAFP programme, a dental nurses’ programme, and a day-long hands-on practical course for dental hygienists.

On the Friday, kicking things off will be Dr Seamus Sharkey and Dr Kathryn Harley, who will look at how current restorative materials influence tooth preparation in fixed prosthodontics, and the restorative treatment of enamel defects in children, respectively.

Prof. Francesco Mannocci will examine restoring root-filled teeth, and Dr Linda Greenwall’s presentation is about vital and non-vital tooth whitening. Prof. Paul Brady will give a core CPD talk on sedation from an Irish perspective. If you have any questions around difficult extractions, Dr Eimear McHugh will offer enlightenment in that area. Dr Michael Freedman will speak on managing the edentulous maxilla, and Dr Mairead Browne goes through where we are now using botulinum toxin in practice.

Friday afternoon will see the presentation of the Costello Medal, and following this, Dr Aida Ben Cheikh will take a look at the fascinating, grisly and crucial work of forensic sciences and odontology. Closing out Friday’s presentations will be Dr Mahrukh Khwaja, whose talk will ask if positive psychology makes you healthier and happier.

On Saturday, Dr Marc Leffler will kick things off by giving the US perspective on why patients sue. Following this, Dr Kieran Daly and Mr Dylan Murray will look at orthodontics, orthognathic surgery and the restorative interface. For dentists who treat a lot of older patients, Dr Ahmed Kahatab’s talk on oral care for the frail older person may be of interest, and Anne Marie McGarrigle will give core CPD on radiation protection in dental practice.

On Saturday afternoon, there will be a panel discussion on how to deal with the cracked tooth. The final presentations of the conference will be from Dr Monik Vasant, on composite artistry, and Dr Mike Gow, on clinical and practical tips in managing anxious patients.

Journal of the Irish Dental Association | April/May 2024: Vol 70 (2) 73
FEATURE

AAFP Programme

The AAFP will run a special programme in the morning on both Friday and Saturday. Presentations will include Prof. Brian O’Connell on providing healthcare to an ageing population, Dr Anne Gunderman on digital dentistry in the fourth dimension, and Dr Advan Moorthy on shade selection and communication.

Social events

Sample the views and the brews at the Killarney Brewing & Distilling Company, built with some fantastic Kerry scenery in sight. On Thursday, the venue will host the Conference welcome party. A coach will collect guests at the Great Southern Hotel and ferry them to the brewery for a tasting of gin or whisky or indeed beer – all of which are brewed/distilled on site. A quick browse around this beautiful building will be followed by a buffet dinner in their state-of-the-art function room and then some Kerry entertainment at its best! This is an all ticket event. Tickets are ¤60 per person and can be purchased at www.dentist.ie or by emailing aoife@irishdentalassoc.ie.

The President’s Annual Dinner takes place on the Friday in The Great Southern. Tickets for this black tie event are ¤95, and it is open to all delegates and suppliers.

The President’s Golf Competition for dentists and the JIDA Cup for exhibitors are at the Killarney Golf and Fishing Club on Thursday, with some tee times reserved on the Wednesday for anyone attending a PreConference course.

Dental suppliers will, as ever, be well represented by a full trade show, so be sure to visit the stands in the main Conference area.

To see the full breakdown of speakers and events, the programme is available at: https://www.dentist.ie/events/ida-annual-conference-2024.8637.html.

74 Journal of the Irish Dental Association | April/May 2024: Vol 70 (2)
FEATURE

Recent Past President, AAFP

Dr Sarit Kaplan recently stepped down as President of the AAFP, and wants to thank everyone in Ireland and the US who made the Conference happen. She qualified as a dentist in Israel and completed her prosthodontic postgraduate training at the University of Maryland in the US. She now combines teaching prosthodontics at the University with private practice in a suburb of Washington DC.

The AAFP is not new to collaborative meetings and this encouraged them to arrange this Conference, says Sarit: “A few years ago, the AAFP had a very successful joint meeting with our Dutch counterparts in Amsterdam. While meeting our Irish colleagues during the annual AAFP meeting in Chicago a few years ago, the idea came up to have this joint meeting in Ireland and here we are now, it has become a reality”.

She goes on to explain what delegates can expect from the AAFP portion of the Conference: “Some AAFP members who are leading prosthodontists in the United States will present and share their expertise and vast experiences with the audience. We are all looking forward to sharing ideas, experiences, treatment philosophies and treatment methods. I am also looking forward to interesting professional discussions, and exchange of knowledge and ideas, as well as fantastic camaraderie”.

Sarit is looking forward to many things ahead of the Conference, like seeing how Irish dentists treat their patients, their methods and ideas, and sharing, comparing and discussing dental challenges and treatment in general.

She is also looking forward to amazing social events, and seeing and experiencing the food and scenery that Ireland has to offer.

She hopes that dentists will leave the Conference with new ideas and practical solutions for better treating their patients and teaching their students, as well as with new personal connections and friendships.

75 Journal of the Irish Dental Association | April/May 2024: Vol 70 (2) FEATURE
MedAccount offer a full range of specialist dental accounting support and advisory services for Associates, Principals, Expense Sharing Partners and Hygienists. MedAccount Services S20, The Pottery, Pottery Road, Dun Laoghaire, Co. Dublin. Tel: 01 280 6414 Email: info@medaccount.ie Will you still be smiling at the end of the year? Make sure your practice is profitable in 2024 As Ireland’s only specialist dental accountants we’re here to help you control your practice costs QUARTERLY ACCOUNTS PAYROLL SERVICES TAX CONSULTANCY COST OF TREATMENT FIRST CONSULTATION FREE First consultation FREE OF CHARGE with no obligation to engage

Prof. Carl Driscoll is a former president of the American College of Prosthodontists, the AAFP and the American Board of Prosthodontics, and will speak during the AAFP section of the Conference. His talk is entitled ‘Just because we can, doesn’t mean we should’. Carl received his dental training in the US Army, and after leaving the force, went to the University of Maryland, where he ran the prosthodontic residency for 21 years. He still practises part time and is keen to share his experience with an Irish audience: “I'm going to show what we shouldn't do, and I'm going to talk about all the tenets or the beliefs that we have in doing prosthodontics that just have no basis in science whatsoever”.

For the past five years, Carl has been an external examiner for the postgraduate prosthodontic programme at Trinity College Dublin, and the connections he forged through this helped set up the Conference: “We have a lot of members from Ireland in the AAFP. My wife, who is also a prosthodontist, is the most recent President of the AAFP and a couple of years ago she thought it would be a wonderful idea to revisit another joint

conference. With my connections with Michael O’Sullivan, Brian O'Connell, Rory Boyd – they all made it happen, and we're all excited. We've got quite a few people coming. And again, we'd love to see more of the folks in Ireland come to beautiful Chicago for our meeting”.

Carl highlights the quality of the AAFP speakers who are coming to the IDA Conference: “It's off the charts. They've all spoken all over the world on a variety of prosthodontic topics. With implants and the current state of ceramics, it should be a very exciting time for all the attendees at the meeting to hear these speakers. So I'm very excited about showing off what our members of the AAFP do quite routinely at our annual meetings, and that's to present some really good information”.

Carl is looking forward to the Conference for two reasons: “It's always good to see what our co-specialists are doing, everybody from general dentists to oral surgeons, to see what we can learn from other dentists and how we can improve our treatment modalities. That's probably the second most important thing. The first most important thing is to meet some more of your wonderful Irish people. We've had such a great time every time we go to Ireland – that's certainly going to be a highlight of our trip”.

76 Journal of the Irish Dental Association | April/May 2024: Vol 70 (2)
FEATURE
Speaker profile: Prof. Carl Driscoll

Considering Considering Selling Your Selling Your Practice? Practice?

Join our award-winning Join our award-winning network of family network of family dental practices dental practices

20 practices nationwide State-of-the-art facilities Central support team

To find out more, please contact our chief executive directly

E: colm.davitt@dentalcareireland.ie

T: (01) 8532504

www.dentalcareireland.ie

Supporting practices and teams to reach their full potential

Speaker profile: Dr Neysan Chah

Galway dentist Dr Neysan Chah will be speaking at the Conference on the subject of enhancing dental care for orofacial pain patients. Neysan did a master’s in orofacial pain and oral medicine, and explains what his talk will cover: “I'm hoping to delve into the complexities that dentists encounter when treating patients with orofacial pain. I'm hoping to discuss some practical tactics that you can seamlessly incorporate into daily dentistry to improve the care provided to this specific patient group. My talk aims to shed some light on recognising some of the more common orofacial pain conditions and exploring some of the intricacies of orofacial pain patients, and offer actionable strategies to enhance the overall patient experience when it comes to providing routine dental care to this patient cohort”.

There are challenges when treating patients with orofacial pain and Neysan

Speaker profile: Dr Mairead Browne

Dr Mairead Browne will be speaking twice at the Conference. She will be co-presenting a full-day lecture and demonstration on facial aesthetics with Drs Paul Kielty and Sarah Kate Quinlivan on the Pre-Conference Programme, before giving her own lecture on botulinum toxin on the Friday of the main Conference. For the pre-Conference course, Mairead says: “We'll be looking at essentially botox and how it's applied to daily practice as a dentist. We'll start off looking at the background, the history of it, looking at different brands of botox”.

The presenters will look then at botox safety, and assessing patients and marking them up. They will show how to reconstitute the product and go through injection and dosage guidance.

The afternoon session will be hands on, and will feature live demonstrations on patients. The presenters will show different injection techniques and patterns. Career and training pathways for facial aesthetics will be explained, and the presenters will give what they consider to be the best approach to training. Mairead’s own talk is entitled ‘Botulinum toxin – where are we now?’ She says that this will look at the evolution of botox, some new products and trends, dental uses like treatment for migraine, and “give an all-encompassing look at

hopes his talk will help attendees understand these more: “The aim is to empower my fellow dentists with practical strategies that can be applied in their daily practice to ultimately lead to more effective and compassionate care for those patients”.

He hopes that dentists can gain a deeper understanding of these challenges, “and make them feel equipped with simple and practical tips to address those challenges effectively. I feel that by elevating our approach to dental care for orofacial pain patients, we can improve the outcomes and enhance the overall patient experience”.

Neysan is looking forward to the Conference, in particular the presentations that will explore advancements in dental technology and emerging trends in oral healthcare, and says the sessions on interdisciplinary collaboration and patient-centred care should be insightful and valuable for enhancing clinical practice.

where we're at now compared to when the products were first introduced to the market, and different formulations. So it'll complement the hands-on day”. Mairead hopes dentists will take away “an insight into how the product works and how it can be applied to their general practice as a dentist. If it's something they're interested in doing, it will give them a little taster as to what you can do with toxin”.

Mairead is looking forward to the conference, and is particularly keen to take in the talks from Prof. Francesco Mannocci on restoring root-filled teeth and cone beam CT in endodontics, Dr Monik Vasant on composite artistry, and Dr Aida Ben Cheikh’s lecture on forensic sciences.

78 Journal of the Irish Dental Association | April/May 2024: Vol 70 (2) FEATURE

Minister clarifies legal position on aesthetic treatments

The Minister for Health has clarified the legal position on botox

The Minister for Health, Stephen Donnelly TD, recently clarified the legal position regarding botox and dermal fillers in reply to a parliamentary question tabled by Deputy Roisin Shortall.

Deputy Shortall (Dublin North West, Social Democrats) submitted a series of questions following the RTÉ Prime Time Investigates programme on the subject.

Deputy Shortall had asked the Minister to respond to the RTÉ investigation “into the illegal administering of botox-type products by individuals and businesses, and the use of unlicensed products. She also asked him to explain the steps he is taking to enforce existing legislation, which only provides for botox-type products to be administered by doctors, dentists and registered nurses, in certain circumstances under the direction of doctors or dentists”. Finally, Deputy Shortall asked the Minster about the engagements he has had with the Health Products Regulatory Authority (HPRA) in respect of regulation and enforcement, and if he would make a statement on the matter.

Minister’s statement

Minister Donnelly responded to Deputy Shortall as follows:

“Botulinum toxin-containing products are prescription-only medicines in Ireland, with their authorised indications and conditions for use outlined in marketing authorisations issued by the Health Products Regulatory Authority

and dermal fillers.

(HPRA) or the European Commission (assessed by the European Medicines Agency (EMA)). These details are accessible in the product information, which includes the Summary of Product Characteristics and Package Leaflet, on the HPRA and EMA websites.

“Typically, these products are authorised for administration by a physician with appropriate qualifications. However, the specifics of authorisation conditions may vary. Legislation concerning the administration of prescription medicines states that such products can be administered by, or in accordance with the directions of, a registered medical practitioner or registered dentist in Ireland. To note, in Ireland, administration of prescription-only medicines is covered by the Medicinal Products (Prescription and Control of Supply) Regulations 2003 to 2021 (S.I. No. 540 of 2003, as amended).

“The sale or supply of medicines, including botulinum toxin, to entities or individuals, can only be done within the regulated framework of medicines supply. This includes appropriately authorised medicine manufacturers, wholesalers, registered practitioners, and registered pharmacies for prescription medicines.

“A medicinal product that is not authorised for the Irish market can be supplied in response to a bona fide unsolicited order, formulated in accordance with the specifications of a practitioner (e.g., a registered dentist or medical practitioner) for use by their individual patients on their direct personal responsibility. Medicines supplied in this manner are referred to as Exempt

79 Journal of the Irish Dental Association | April/May 2024: Vol 70 (2)
NEWS Volume 70 Number 2 April/May 2024
MEMBERS’

Medicinal Products (EMPs). The legislation underpinning EMPs is set out in Schedule 1 of the Medicinal Products (Control of Placing on the Market) Regulations, 2007, as amended, and also in the Medicinal Products (Control of Wholesale Distribution) Regulations, 2007, as amended. The HPRA does not assess such products’ quality, safety or efficacy, as they are exempt from the requirement for marketing authorisation.

“It is important to note that the clinical use of medicines in Ireland is a clinical decision a prescriber takes; the HPRA has no role in the clinical decision regarding patient treatment. The EMP route serves only to facilitate supply in response to a bona fide unsolicited order, formulated in accordance with the specifications of a practitioner for use by their individual patients on their direct personal responsibility.

“Appropriately authorised wholesalers or manufacturers can import and supply EMPs and should notify the HPRA to ensure traceability in the event of a recall. Healthcare professionals typically cannot import EMPs from third countries and must involve an appropriately authorised wholesaler or manufacturer.

“To answer your specific questions regarding dermal filler.

“Dermal fillers are classified as medical devices under the EU medical device legislation and the HPRA is the competent authority for medical devices in Ireland. The Department of Health is working with the HPRA in considering the current regulation of dermal fillers in Ireland. Further consideration by the Department may be required in relation to the regulation of dermal fillers in the future, on foot of this work with the HPRA. There are a number of factors to consider such as training requirements, raising awareness, considerations of administration, etc.

“In the European Union (EU), medical devices are regulated by way of an EUwide framework, which aims to ensure that all devices available for use on the EU market are safe and perform as intended. A valid medical device bears a ‘CE’ mark, which indicates that it meets the basic requirements for safety and

“The Department of Health is working with the HPRA in considering the current regulation of dermal fillers in Ireland. Further consideration by the Department may be required ... on foot of this work.”

effectiveness under European law and can be placed on the EU market. Dermal fillers are classified as medical devices and are typically regulated under the Regulation for Medical Devices (MDR) as Class III medical devices (the highest risk class). Commission Implementing Regulation (EU) 2022/2346 requires all dermal fillers to be CE-marked subject to transitional timeframes. This Implementing Regulation also includes additional requirements in the instructions for use stating that dermal fillers ‘are not to be used in persons who are less than 18 years old’ and that they should only be administered by appropriately trained healthcare professionals.

“There are mandatory obligations for manufacturers to report incidents that occur with medical devices, including dermal fillers, to the HPRA. The HPRA asks individuals who have experienced any complications with the use of a dermal filler to report these to the HPRA. Reports can be submitted to the HPRA through their online reporting system available at https://www.hpra.ie/homepage/about-us/report-an-issue/mdiur. The HPRA advises anyone who has health concerns relating to dermal fillers to contact their GP.

“The Department of Health advises members of the public to refer to the HPRA website for information in relation to buying medical devices online.”

MEMBERS’ NEWS 80 Journal of the Irish Dental Association | April/May 2024: Vol 70 (2)

IDA Annual General Meeting 2024

April 18, RCSI, Dublin

All eligible members are invited to attend this year’s AGM, which takes place in the Albert Theatre, RCSI, Dublin, on Thursday, April 18, commencing at 7.30pm.

The agenda for the meeting will comprise the following:

Agenda item 1: Call to order and apologies

Agenda item 2: Adoption of minutes of 2023 AGM and proposed Standing Orders (2024 AGM)

Agenda item 3: Report of Chief Executive Officer

Agenda item 4: Report of Honorary Treasurer

Agenda item 5: Election of Officers

Agenda item 6: Consideration of Motions

Agenda item 7: Outgoing President’s Valedictory Address

Agenda item 8: Inauguration of President 2024-2025

Agenda item 9: President’s address re: IDA Conference 2024

Agenda item 10: Adjournment

Nominations and motions

Dr Rory Boyd will be installed as President for 2024-2025.

Dr Will Rymer has been nominated for the position of President-Elect.

Financial statements

The Association’s financial statements will also be presented for approval at the AGM.

IDA members vote to accept public service pay agreement

Members employed in the HSE and the Cork and Dublin dental schools (including part-time clinical tutors) have voted, in an online ballot, to accept the new public service pay agreement. The deal was concluded in January following 15 days of talks, which were attended by the Association.

The IDA had recommended acceptance of the pay terms. A total of 94.4% voted to accept the agreement with 5.6% voting not to accept it. The turnout was 47.8%.

Pay proposals

The pay proposals provide for increases of 4.25% in 2024, 3% plus a 1% local bargaining increase in 2025, and 2% for the first six months of 2026.

The increases will be paid on a phased basis as follows:

January 1, 2024 2.25% (or ¤1,125, whichever is greater)

June 1, 2024 1%

October 1, 2024 1% (or ¤500, whichever is greater)

March 1, 2025 2% (or ¤1,000, whichever is greater)

August 1, 2025 1%

September 1, 2025 1% local bargaining increase

February 1, 2026 1% (or ¤500, whichever is greater)

June 1, 2026 1%

The agreement contains provisions regarding co-operation with reforms, dispute resolution mechanisms and local bargaining – employers and trade unions may negotiate additional changes in rates of pay or conditions of employment up to a maximum of 3% of basic pay costs inclusive of allowances in the nature of pay for particular grades, groups or categories of employees or bargaining units.

MEMBERS’ NEWS 81 Journal of the Irish Dental Association | April/May 2024: Vol 70 (2)

Recruiting and retaining the right staff

Recruitment, and indeed retention, are key issues for most dental practices right now.

The objective of a recruitment and selection process is to obtain the right person for the right job at the right time in a cost-effective manner. There are a number of steps in the process, which are outlined below. However, in a dental sector that is facing staffing shortages – where good, skilled employees are hard to find – how can you stand out as a recruiter and attract candidates to your practice?

You should be thinking about the wording of your job advertisement and how you conduct the interview process, as well as the compensation and reward packages, and the terms and conditions on offer. For example, the issue of flexibility and work–life balance is becoming increasingly important to employees.

Ask yourself: “Why would a candidate want to work for me?” If you are relying mainly on wages and benefits, make sure you are offering a competitive package. You can also consider offering additional perks of employment that make your practice the one good candidates seek out, for example mentorship, additional leave, training, and so on.

The American Dental Association (ADA) has done a lot of work and research in this area, and a survey of dental surgery assistants that they carried out in 2022 found that:

n factors associated with employee retention include work–life balance, positive workplace culture, and ability to help patients; and, n factors associated with attrition include negative workplace culture, insufficient pay, lack of growth opportunity, inadequate benefits, and feeling overworked.

Steps in the recruitment and selection process

1. Personal specification/criteria – decide what qualifications, skills and experience are needed.

2. Advertising – decide the contents of the advert, and where and how to advertise.

3. Shortlisting – decide which candidates should be called for interview based on their merit and whether they fit the criteria set down.

4. The interview – prepare interview questions and scoring.

5 Interview assessment – compare the attributes of the candidates against specific criteria laid down in the personal specification and award marks.

6. Checks – check the references of the preferred candidate and that all other requirements are in place, e.g., Garda vetting if needed, Dental Council registration, professional indemnity if required, pre-employment medical, and so on.

7. Appointment – send a written letter of offer to the successful candidate and agree a starting date.

8. Present contract to new employee.

9. Begin induction and probation processes.

Employment law Discrimination

It is important that the recruitment and selection process is carried out in an objective and impartial manner. The employer must not demonstrate bias and/or discriminate against any candidate. Interview questions should avoid asking about family circumstances, a candidate’s age, or a particular disability that a candidate might have.

Contract

All employees are legally entitled to a contract of employment or a statement of their terms and conditions within one month of starting the job. They must be given a written statement of core terms of employment within the first five days of starting a job. We can provide members with template employee contracts on request from IDA House.

Probation

Since August 1, 2022, the probationary periods of employees in the private sector should not exceed six months save in exceptional circumstances.

Records

All records in relation to the recruitment process should be kept on file for at least 12 months before being discarded. The employer must retain other employee records for a period of at least three years.

Fixed-term employees

If recruiting fixed-term employees, they are entitled to be treated no less favourably than a comparable permanent employee.

If an employer renews a fixed-term contract, they are required to put in writing the ‘objective grounds’ or reason justifying the renewal of the fixedterm contract and explaining why a permanent contract or contract of indefinite duration is not being offered.

Further information

For further advice or discussion on these issues, please contact me in IDA House or email me at roisin@irishdentalassoc.ie

82 MEMBERS’ NEWS
Journal of the Irish Dental Association | April/May 2024: Vol 70 (2)

Finding fulfilment in dentistry

The search for happiness is a common theme in today’s popular media and we seem fixated on trying to find it.

Modern conceptions of happiness focus on the practical and not the philosophical. We don’t necessarily want to know what happiness is, rather we want to know how to get it. Many friends and colleagues link happiness with achievement, pleasure and wealth. I think back to my younger days, and I recall that I did the same. All my peers thought the same. This framing of happiness is flawed. Could this be the root cause of the disaffectedness we see among so many in our profession?

Studies into happiness flourished during the 1990s and 2000s, approaching happiness from the perspectives of philosophy, psychology, sociology, chemistry, biology, and economics. It has been a source of philosophic inquiry and debate for many centuries: what the major differences in how we interpret its meaning today are, and what the ancient philosophers understood by it. Today, we have access to the science of happiness.

I know many dentists who have been successful – on a range of success measures – but many of them feel disillusioned, unfulfilled, and unhappy. They reach a particular milestone in their career and expect it to deliver the lasting happiness they seek, crave even, only to be disappointed by what is often short-lived gratification.

I have experienced it myself at various stages in my career. This short-term gratification is an example of what is described as hedonic pleasure. The ancient Greeks (Aristotle in particular) believed that happiness comprised two parts: Hedonia or pleasure, and Eudaimonia, which is generally taken to mean living a complete and virtuous life.

Positive psychology

Positive psychology is focused on how virtues, strengths, and skills can help individuals to thrive and flourish. It involves topics such as meaning, mindset, happiness, gratitude, and compassion, which can play a role in well-being and a meaningful life.

In her widely referenced book, The How of Happiness, psychology researcher Sonja Lyubomirsky defines happiness as: “The experience of joy, contentment, or positive well-being, combined with a sense that one’s life is good, meaningful, and worthwhile”.

Work satisfaction is a big factor in remaining positive. If you ask yourself what you need from your job/work to make it fulfilling, it broadly comes down to three aspects:

1. Autonomy – the ability to make your own decisions.

2. A connection between effort and reward.

3. Involvement in the greater good – the ability to recognise your contribution and place in the grand scheme of things, and to feel part of the bigger picture.

More recently, positive psychologists – such as Martin Seligman in his 2002 book Authentic Happiness – have added a third component to the Greek view, which he calls ‘engagement’ and which is one of the five elements of his PERMA model:

1. Positive emotions: experiencing joy and other positive feelings.

2. Engagement: being fully absorbed and immersed in activities that one finds meaningful and enjoyable (see section on ‘flow’).

3. Relationships: having strong and positive social connections with others.

4. Meaning: feeling a sense of purpose and fulfilment in life –understanding one's values and goals.

5. Accomplishment: setting and achieving goals – experiencing a sense of competence and mastery.

Flow

Coined by psychologist Mihaly Csikszentmihalyi, ‘flow’ is characterised by intense focus, heightened concentration, and a sense of timelessness. In the context of happiness, it refers to a state of deep absorption and complete immersion in an activity. During flow, individuals experience a profound sense of enjoyment and fulfilment, often losing track of their surroundings and any sense of self-consciousness. The principles of flow include:

1. Clear goals help to provide focus, structure and direction, which help to channel energy to achieving the desired outcome.

2. Concentration on the task at hand.

3. Creating a balance between skill and challenge.

The flow channel is the challenge level of the activity perfectly matched to the individual's skill level – an effective risk management strategy – creating a state of optimal engagement and immersion. In this state, individuals are fully absorbed in the activity, experiencing a sense of effortless action and deep concentration (Figure 1).

83 Journal of the Irish Dental Association | April/May 2024: Vol 70 (2)
Raj Rattan MBE Dental Director at Dental Protection PRACTICE MANAGEMENT
Dr

Well-being/happiness

We cannot expect to be happy all the time. We all experience sadness, disappointment, fear, and anxiety – it is what makes us human. What is clear from the research is that you can influence your state of happiness. Many people are driven by external motivation alone – reputation, financial reward, feelgood factor, social media fame – but lasting happiness comes from internal motivation, engaging in an activity for satisfaction rather than external rewards alone.

When individuals are intrinsically motivated, they find fulfilment and meaning in what they do. Pleasure in the job puts perfection in the work as Aristotle famously said.

Happiness and well-being are frequently treated as synonymous, and the terms are often used interchangeably. This triad of pleasure, meaning and engagement is referred to as subjective or self-reported well-being (SWB) and mental health is critical to SWB. (The reader is referred to the work of Ed Diener for more details of the concept.)

In the SWB triad, meaning and working towards the greater good is the hardest to achieve. The greater good presents a challenge – it requires both means and meaning. Commercial success, for example, may provide the means, but without the meaning it is unlikely to deliver happiness.

Stress

In short, two main areas drive stress in the dental profession. The first is quantitative overload, where there is too much to do in too little time, and the second is qualitative overload, where the stress comes from high standards, perfectionist even, and high expectations.

For recent graduates, one source of great concern is the fear of litigation, as we have uncovered through several surveys at Dental Protection. However, over time we have seen that the threat of litigation is nowhere near what people perceive it to be.

The average dentist may be sued two or three times over the course of an average career. The huge risk perception gap leads us to overestimate the risk and ultimately can affect how we work.

I believe this perception has crept up on the profession for many reasons. One is a type of cognitive bias known as availability bias, where the brain

brings up information that is readily available. Reported dentolegal cases and ‘failure’ are discussed and debated, but success stories in dentistry rarely get published (and yet they are the majority). It is the case studies on things that have gone wrong and tips to manage these that get published more; therefore, the snapshot episodes that are published are the readily available content.

As dental professionals, we need to be aware of the true risk level to be able to analyse stressful situations. We need both risk intelligence and risk management to ensure that we see the true context of episodes and check our risk perception.

Mentors and friends

Aristotle argued that what makes someone happy and what makes someone a good person are the same. Happiness then is not an emotional state; rather, it is about the quality of relations we cultivate with others. Mentorship is important and we should give it the attention it deserves. We all need mentors and true friends in dentistry. We should choose our mentors wisely. Your mentor should be several career steps ahead of you, not just one or two steps.

Mentors should have a breadth of experience and knowledge, and should be able to support you and guide you. Check their credentials before you engage them.

Aristotle places friends into one of three categories: utilities – friends who will be useful to you, who you may ask for help; friends for pleasure or enjoyment; and, what are described as ‘friends of the good’, who share your values and beliefs, and have a similar outlook on life. All types of friends are great to have but it is the friends of the good who should be nurtured to encourage the sense of purpose and fulfilment in your career and in life. In his Nicomachean Ethics, Aristotle wrote: “As it is not one swallow or a fine day that makes a spring, so it is not one day or a short time that makes a man blessed and happy”. In other words, to flourish is the undertaking of a lifetime because it’s something you must cultivate daily through your actions. Like the utilitarians, Aristotle argued that happiness and virtue were inextricably linked.

Summary

The ingredients of success for clinicians can be summarised by many formulae. In the context of this article, it reads:

Career happiness = (mastery + challenge + flow) – stress x (meaning + virtue)

And when it comes to risk management and a dentolegal perspective, it is summed up in the words of Marcus Aurelius, writing in Meditations: “Just that you do the right thing. The rest doesn’t matter”.

The Latin maxim summum bonum means the ‘highest good’, a concept that has been explored by philosophers across the ages. There are many interpretations of what this means – from happiness and well-being to moral excellence. In dentistry, it includes ethical practice, clinical excellence, patient-centricity, and professional fulfilment. The quest for happiness starts and finishes with summum bonum

This article is based on a recent interview with Raj Rattan, and his forthcoming book on building a portfolio career in dentistry.

84 Journal of the Irish Dental Association | April/May 2024: Vol 70 (2) PRACTICE MANAGEMENT
Challenges Skills High Low Low High
Anxiety Boredom
Flow channel
FIGURE 1: The flow channel.

A service evaluation of patients requiring growth modification in a public service setting

Précis: Earlier treatment with functional appliance therapy may improve patient compliance and reduce the time spent in fixed appliances.

Abstract

Aim: To conduct a service evaluation of patients who had functional appliance treatment to correct Class II malocclusions in a public orthodontic clinic. To evaluate the effect of prioritisation and earlier treatment of these patients on treatment duration and patient compliance.

Methodology: The prioritised treatment group (PTG) had twin block appliances fitted when they were 11 or 12 years old. In comparison, the routine treatment group (RTG) had twin block appliances fitted when they were 13 or 14. Electronic patient records were screened to find a sample of 100 patients from each cohort. The number of compliance issues, functional appliance treatment duration, fixed appliance treatment duration, and total treatment duration were recorded retrospectively from patient charts.

Results: While mean total treatment time was similar across the two cohorts, the PTG did have significantly shorter fixed appliance treatment durations than the RTG. The PTG was also found to have better compliance than the RTG.

Conclusions: Prioritising patients who require functional appliance treatment does not reduce total treatment duration. A correlation between earlier treatment, improved patient compliance, and a shorter course of fixed appliance therapy can be seen, which may prove clinically beneficial. Further research in this area would be valuable.

Journal of the Irish Dental Association April/May 2024;70(2):85-89

Dr Natasha Lemasney

BA BDentSc(TCD) Dip

PCD(RCSI) MFD(RCSI) MSc

Orthodontics postgraduate student, Trinity College Dublin

Dr Niamh O’Rourke

BA BDentSc(TCD)

MFDS(RCSEdin) MFD(RCSI)

MClinDent

Orthodontics(QMUL)

MOrth(RCSEng) FDS

Orth(RCSEng)

Consultant Orthodontist, Galway University Hospital

Dr Triona Fahey

BDS(National Uni of Ire)

MFDS(RCS Lond)

MScD(UCardiff)

MOrth(RCSEdin) FDS

Orth(RCSEdin)

Consultant Orthodontist, Galway University Hospital

Dr Lorna Dobbyn Ross

BA BDentSc (TCD) MFDS (RCSEdin) MOrth (RCSEdin)

MSc (Dundee) FDS Orth (RCSEdin)

Consultant Orthodontist, Galway University Hospital

Corresponding author: Dr Natasha Lemasney, Trinity College Dublin E: natashalemasney@gmail.com

PEER-REVIEWED 85 Journal of the Irish Dental Association | April/May 2024: Vol 70 (2)

Background

Class II malocclusion, which affects nearly 25% of 12 year olds in the UK, is the most commonly treated malocclusion in the HSE orthodontic service.1,2 The 2002 Irish Children’s Oral Health Survey found that 12.2% of 12 year olds have an overjet of 6mm or greater and 2.5% have an overjet of 10mm or greater.3 The aetiology can be skeletal, dental, or both. Mandibular retrognathia and prominent maxillary incisors are typical features.4 Along with posing an increased risk for trauma to the maxillary incisors, this malocclusion has also been associated with an elevated incidence of bullying.4,5 Treatment often includes growth modification with a functional appliance, followed by fixed appliances to align the teeth orthodontically.4

A wide range of functional appliances are available to correct Class II malocclusions, including removable functional appliances, such as the Bionator and Fränkel appliances, and the fixed Herbst appliance. The Clark’s twin block appliance, favoured among UK orthodontists, is the functional appliance used primarily within the department where this service evaluation was conducted.6,7 A twin block appliance is a removable appliance consisting of maxillary and mandibular acrylic blocks, which posture the mandible forward on closure. It is well established in the literature that the changes brought about by twin block appliances are primarily dentoalveolar in origin, but they can also improve profile and lip competence in children with a Class II skeletal pattern.8,9 O’Brien et al (2003) established, through a randomised controlled trial, that using a twin block appliance results in 1.9mm of additional skeletal growth. Tulloch (1997) found even smaller results of 1.33mm.10,11 Furthermore, Mills (1998) found that this additional skeletal growth occurs primarily in the vertical direction, facilitating a reduction in overbite rather than overjet.12

The timing of use in relation to patient growth is critical in determining the effectiveness of functional appliance therapy.13 The rate of mandibular growth is not constant throughout childhood and adolescence, with the existence of a pubertal peak well established in the literature.14 While the onset and duration of the growth spurt varies among individuals, it generally occurs at 11.89 years in females and 13.91 years in males.15 It has been shown that functional appliance therapy is most effective when the peak of mandibular growth occurs within the treatment period, with treatment commencing in the pre-pubertal phase.13,16 There is also some evidence that compliance is better in younger cohorts.17,18 O’Brien (2003) found that functional appliance discontinuation rates among adolescents were twice that of pre-adolescent treatment groups (33% vs 16%).10 Better patient compliance among younger cohorts should lead to improved treatment outcomes. Finally, Rizell (2006) argued that preadolescent treatment with a functional appliance may reduce treatment duration in the fixed appliance stage.19

The HSE orthodontic service is mandated to provide treatment for those with the highest orthodontic treatment need. A modified Index of Orthodontic Treatment Need (IOTN) score has been used in the HSE for the past 15 years to determine treatment eligibility. Only patients with a dental health component score of 5, or selected grade 4s, are eligible.2 Children typically have their orthodontic assessment in their final year of primary school, when they are approximately 12 years old. Those deemed eligible for treatment can then face long waiting lists. At the end of 2019, there were 19,216 patients on orthodontic treatment waiting lists across Ireland. Over 25% of these patients had been waiting over three years for treatment.20 Unless children are targeted and prioritised, they may miss the window of opportunity for growth modification treatment in the public service setting.

Inclusion

5a on IOTN

Table 1: Selection criteria.

Treated with twin block appliance, followed by fixed appliance

Treatment finished between 2015 and 2020

Aged between 11 and 14 years at the start of treatment

Exclusion

Lost to follow-up during the active treatment phase

Orthognathic surgery

This service evaluation was carried out in a HSE orthodontic clinic, where an effort has been made in recent years to prioritise patients classified as 5a on the IOTN for earlier treatment. IOTN grade 5a indicates the presence of an overjet greater than 9mm prior to beginning treatment.21 Rather than being placed on a waiting list, patients deemed eligible for orthodontic treatment under the 5a classification would start treatment expeditiously following their sixth class screening. These patients would start treatment approximately two years earlier than those placed on a waiting list, making them 11 or 12 years old starting treatment compared to those coming from the waiting list, who would be at least 13. This prioritisation system is unique to this individual HSE orthodontic clinic.

The primary aim of this study is to evaluate the effect of this prioritisation by comparing the treatment duration and compliance of two cohorts of children treated with twin block appliances: those who were 11 or 12 when treatment started compared to those who were 13 or 14 at the start of treatment.

Methods

This service evaluation was carried out in a large HSE orthodontic department in the west of Ireland. It services a population of patients from both rural and urban environments, who have a demographic make-up similar to that of the rest of Ireland.22 The methodology for this service evaluation is in keeping with the Health Research Regulations 2021.23 The population was divided into two groups: a prioritised treatment group (PTG), who started treatment at age 11 or 12; and, a routine treatment group (RTG), who started treatment at age 13 or 14. Age ranges were chosen by a consultant at this clinic to be representative of those who have received treatment in a routine timeframe (RTG) and those who would have received treatment in a prioritised timeframe (PTG). The sample for this study was obtained by screening the records of children who had finished treatment between 2015 and 2020. The chosen time frame encompasses the period before and after the implementation of the prioritisation system in 2017, ensuring the acquisition of a sufficient cohort from both groups. The selection criteria are summarised in Table 1. The sample was generated from the first 100 patients from each cohort to meet the inclusion criteria. Orthotrac was used to screen the records of 557 patients for sample selection. Patient records were screened, and the following data was extracted:

n duration of twin block treatment;

n duration of fixed appliance treatment;

n total treatment duration; and,

n compliance with twin block wear.

PEER-REVIEWED 86 Journal of the Irish Dental Association | April/May 2024: Vol 70 (2)

*Denotes statistically significant differences.

Table 2: Summary of results.

n Twin block treatment

All patients were treated by either a consultant orthodontist, specialist orthodontist, or orthodontic therapist under the guidance of a consultant orthodontist. Patients undergoing twin block treatment were instructed to undergo full-time wear protocols, in which the functional appliance was only removed for eating and sports. The duration of the twin block treatment was measured from the date the twin block was fitted to the date that fixed appliances were bonded. The duration of fixed appliance treatment was measured from bond up to debond.

Clinical entries in the electronic patient records were reviewed, and each instance of poor compliance was documented. Each of these instances were counted as compliance issues. The total number of compliance issues for each patient was then calculated. Discussions regarding inadequate wear of appliances, instances of lost appliances, poor oral hygiene and failure to attend appointments were all regarded as instances of poor compliance. These markers of compliance were adapted from a study by Mandall et al 24

A statistical analysis was carried out using Microsoft Excel XLSTAT. A two-

sample t-test was used to determine the statistical significance of the treatment duration data collected, while regression analysis was used to determine the significance of the compliance count data. Both were calculated with a significance level of 95%.

Results

The PTG consisted of 61 females and 39 males, with a mean age of 12.3 years +/- 0.29. The RTG consisted of 55 females and 45 males, with a mean age of 13.8 +/- 0.42 (Table 2).

Total treatment time was shorter in the PTG than in the RTG (32.14 vs 34.41 months). However, this difference was not statistically significant. A statistically significant difference was found between the two cohorts’ mean duration of fixed appliance therapy (Figure 1). This was shorter in the PTG than in the RTG (20.37 months vs 23.24 months, P=0.01). A total of 53% of children in the PTG had at least one compliance issue noted, with a mean number of compliance issues of 1.24 per child. Compliance was worse in the RTG, affecting 77% of children, with a mean number of 2.43 (Figure 2). This difference was statistically

PEER-REVIEWED 87 Journal of the Irish Dental Association | April/May 2024: Vol 70 (2)
60 50 40 30 20 10 0 50 45 40 35 30 25 20 15 10 5 0 0 1 2 3 4 5 6 7 8 9 Months Number of patients Number of compliance issues
PTG RTG Females PTG Females RTG Males PTG Males RTG Females Males (n=100) (n=100) (n=61) (n=55) (n=39) (n=45) (n=116) (n=84) Duration twin 11.2 +/- 10.7 +/- 11.6 +/- 11.3 +/- 10.5 +/- 9.9 +/- 11.5 +/- 10.2 +/block therapy 4.5 0.5 4.9 4.5 3.7 3.1 4.7 3.3 (mean) months months months months months months months months Duration fixed 20.4 +/- 23.2 +/- 20.3 +/- 21.6 +/- 20.5 +/- 25.2 +/- 20.9 +/- 23 +/appliance 7.1 8.8 7.5 7.7 6.7 9.8 7.6 8.8 therapy (mean) months* months* months months months* months* months months Total treatment 32.1 +/- 34.4 +/- 32.4 +/- 33.4 +/- 31.7 +/- 35.6 +/- 32.9 +/- 33.8 +/duration 9.4 10.1 10.5 9.5 7.6 10.9 10 10 (mean) months months months months months months months months Percentage with at least 53% 77% 49.2% 80% 64.1% 75.56% 62.1% 69.05% one compliance issue noted Mean number 1.2 +/- 1.5* 2.4 +/- 2.2* 1.1 +/- 1.5* 2.4 +/- 2* 1.5 +/- 1.6* 2.5 +/- 2.3* 1.7 +/- 1.9 2 +/- 2 of compliance issues
FIGURE 1: Box plot of treatment durations for the PTG and the RTG. FIGURE 2: Instances of compliance issues for the PTG and the RTG.
duration
n Fixed appliance treatment n Total treatment
group Prioritised treatment group Routine treatment group
n Prioritised treatment group n Routine treatment

significant (P=0.00004). These results were consistent across both genders (Table 2).

Discussion

This service evaluation aimed to assess how prioritisation of patients requiring functional appliance therapy for earlier intervention affects the course of their treatment. The goal of prioritising patients for growth modification would be to reduce the complexity of future treatment and improve patient compliance. Overall, this service evaluation found some evidence to suggest that a younger age at the start of twin block therapy can be used to predict better patient compliance and a reduced duration of fixed appliance treatment. The overall treatment time did not significantly differ between the PTG and the RTG, however, suggesting that the age at which patients receive twin block appliance treatment within the 11- to 14-year range may not have a significant impact on the overall treatment duration.

Both the PTG and RTG had longer mean total treatment durations than those found in similar studies. Dyer et al. (1991) conducted a retrospective study of patients with Class II Division 1 malocclusions and found a mean treatment duration of 29.52 +/- 4.32 months.25 A similar study by O’Brien et al. (1995) found a mean treatment duration of 33.7 ± 10.4 months for two-phase treatment of Class II Division 1 malocclusions in adolescents.26 O’Brien (2003) looked at treatment duration for treatments involving both functional and fixed appliances, and found a mean duration of 21.99 months.10 This prolonged treatment duration may be because this service evaluation was conducted in a public orthodontic clinic. Mavreas et al. (2008) found that treatment duration increases with the severity of the malocclusion.27 The severity of malocclusion is a significant factor in determining eligibility for orthodontic treatment under the HSE. All patients in this study had an overjet of at least 9mm, likely predisposing them to longer than standard courses of treatment. Some patients included had treatments spanning the year 2020. Clinic closures during the Covid-19 pandemic, and the cancellation of appointments due to patient, parent, or staff isolation requirements, may have prolonged treatment for these patients. Nevertheless, while patients in the PTG were not found to have a shorter total treatment duration, the duration of fixed appliance therapy was significantly shorter for the PTG. This may still be clinically significant, representing a reduction in treatment cost and in the risks associated with fixed orthodontic appliances, including demineralisation of enamel, root resorption and periodontal condition. Furthermore, evidence was found that those in the PTG had better compliance with treatment than those in the RTG. Compliance, as measured retrospectively by the number of clinical entries indicating poor compliance, is prone to bias. This is due to the inherent subjectivity in noting compliance, and intra-operator differences in note-taking style and level of detail. Moreover, although the compliance indicators employed have been utilised as proxy metrics for compliance in previous research, they do not directly quantify the duration of appliance usage. In order to acquire a more precise evaluation of compliance with twin block wear, it would be optimal to incorporate objective measures, such as electronic monitoring devices that record appliance usage. Nevertheless, considering the constraints imposed by the accessible data retrospectively, the employed compliance measures can still offer valuable insights and support the conclusions pertaining to patient age, compliance, and treatment duration. Failure to complete treatment may also indicate poor compliance. Therefore, excluding those lost to follow-up could represent an additional source of bias if the number of patients lost to follow-up was disproportionately different between

the two cohorts. Clear results indicating greater compliance within the PTG than in the RTG were demonstrated across both genders. These results are in line with previous studies. For example, Schäfer et al. (2015) found that when instructed to wear a removable orthodontic appliance for 15 hours a day, patients aged 10 to 12 would wear it for a mean of 9.8 hours a day, while patients aged 13 to 15 would wear it for a mean of 8.5 hours a day.18

Skidmore et al. (2006) found that poor compliance leads to increased treatment times, with poor oral hygiene alone adding 2.2 months to treatment.28 Additional studies of broken appointments and damaged appliances support this finding.24,25 To this point, it is difficult to say whether reduced patient compliance or an increased treatment complexity linked to older age leads to longer fixed appliance treatment durations in the RTG. Further study would be required to test this, including the assessment of pre-treatment malocclusion severity.

While all patients studied in this service evaluation completed treatment, no outcome measure was recorded. This may represent a source of bias if disproportionate numbers from one cohort finish treatment with a residual need. A future study could be carried out prospectively, allowing consideration for variables such as malocclusion severity, along with the measurement of an objective outcome.

Furthermore, this service evaluation only looked at numerical age; no skeletal maturity staging was carried out. Skeletal maturity staging helps to determine the optimal timing for growth modification, by identifying the pubertal growth spurt. The inclusion of skeletal maturity staging would provide a more comprehensive understanding of how the timing of treatment initiation, relative to skeletal maturation, affects treatment outcomes.

Another limitation of this service evaluation is the sampling method used. The first 100 patients from each cohort to meet the inclusion criteria were included in the sample. This non-random sampling technique could bias the data if a nonrepresentative sample was chosen. Furthermore, the limitation of inclusion criteria to patients who had a course of functional and fixed appliance treatment excludes those successfully treated with a functional appliance to the point that fixed appliance treatment was unnecessary. Finally, as stated previously, statistically significant differences do not necessarily translate into clinically significant differences. This needs to be considered when interpreting the data.

Conclusion

Prioritising patients who require functional appliance treatment does not reduce the total treatment duration. A correlation between earlier treatment, improved patient compliance and a shorter course of fixed appliance therapy can be seen. This is potentially clinically significant as it indicates a possible reduction in treatment expenses and risks related to fixed orthodontic appliances. Thus, support can be seen for treatment with functional appliances at age 11 or 12 rather than older. This highlights the importance of both timely referral and treatment prioritisation for patients requiring growth modification. As this is observational research, causation cannot be proved. Further prospective research is needed in this area to add to the body of evidence. A recent high-quality, randomised control trial by Mandall et al. (2023)29 could be used as a template for future research in this area.

References

1. Holmes A. The prevalence of orthodontic treatment need. Br J Orthod. 1992;19(3):177-182.

2. McSwiney TP, Millett DT. North Cork HSE orthodontic treatment waiting list 2009-2010: retrospective audit of patient records. J Ir Dent Assoc. 2013;59(2):87-90.

PEER-REVIEWED 88 Journal of the Irish Dental Association | April/May 2024: Vol 70 (2)

3. Whelton H, Crowley ED, Harding M, et al. North-South survey of children’s oral health in Ireland 2002. https://www.lenus.ie/handle/10147/119028

4. Thiruvenkatachari B, Harrison JE, Worthington HV, O’Brien KD. Orthodontic treatment for prominent upper front teeth (Class II malocclusion) in children. Cochrane Database Syst Rev. 2013;13(11):CD003452. Update in: Cochrane Database Syst Rev. 2018;13(3):CD003452.

5. DiBiase AT, Sandler PJ. Malocclusion, orthodontics and bullying. Dent Update. 2001;28(9):464-466.

6. Clark WJ. The twin block traction technique. Eur J Orthod. 1982;4(2):129-138.

7. Chadwick SM, Banks P, Wright JL. The use of myofunctional appliances in the UK: a survey of British orthodontists. Dent Update. 1998;25(7):302-308.

8. Lund DI, Sandler PJ. The effects of twin blocks: a prospective controlled study. Am J Orthod Dentofacial Orthop. 1998;113(1):104-110.

9. Creekmore TD, Radney J. Frankel appliance therapy: orthopedic or orthodontic? Am J Orthod. 1983;83(2):89-108.

10. O’Brien K, Wright J, Conboy F, et al. Effectiveness of early orthodontic treatment with the twin-block appliance: a multicenter, randomized, controlled trial. Part 1: dental and skeletal effects. Am J Orthod Dentofacial Orthop. 2003;124(3):234-243; quiz 339.

CPD questions

To claim CPD points, go to the MEMBERS’ SECTION of www.dentist.ie and answer the following questions:

1. Are the changes brought about through use of a functional appliance skeletal or dental in origin?

l A. Skeletal

l B. Dental

l C. Both, of equal amounts

l D. Both, but mainly skeletal

l E. Both, but mainly dental

CPD

Quiz

Submitted by Dr Elizabeth Anne Ryan.

You are doing a restoration on a first permanent molar on a sevenyear-old child and have a pinpoint non-carious pulp exposure. Pre-operatively, the tooth was deemed to have healthy pulpal tissue or reversible pulpitis.

Questions

1. What material would traditionally be used to treat this pulp exposure?

11. Tulloch JF, Phillips C, Koch G, Proffit WR. The effect of early intervention on skeletal pattern in Class II malocclusion: a randomized clinical trial. Am J Orthod Dentofacial Orthop. 1997;111(4):391-400.

12. Mills CM, McCulloch KJ. Treatment effects of the twin block appliance: a cephalometric study. Am J Orthod Dentofacial Orthop. 1998;114(1):15-24.

13. Baccetti T, Franchi L, Toth LR, McNamara JA Jr. Treatment timing for Twin-block therapy. Am J Orthod Dentofacial Orthop. 2000;118(2):159-170.

14. Nahhas RW, Valiathan M, Sherwood RJ. Variation in timing, duration, intensity, and direction of adolescent growth in the mandible, maxilla, and cranial base: the Fels longitudinal study. Anat Rec (Hoboken). 2014;297(7):1195-1207.

15. Tanner JM, Whitehouse RH, Marubini E, Resele LF. The adolescent growth spurt of boys and girls of the Harpenden growth study. Ann Hum Biol. 1976;3(2):109-126.

16. Cozza P, Bacetti T, Franchi L, De Toffol L, McNamara JA Jr. Mandibular changes produced by functional appliances in Class II malocclusion: a systematic review. Am J Orthod Dentofacial Orthop. 2006;129(5):e1-e12; discussion e1-e6.

17. Männchen R, Serafin M, Fastuca R, Caprioglio A. Does early treatment improve clinical outcome of Class II patients? A retrospective study. Children (Basel). 2022;9(2):232.

18. Schäfer K, Ludwig B, Meyer-Gutknecht H, Schott TC. Quantifying patient adherence

2. What benefit to early correction of Class II, Division 1 malocclusion was identified by a Cochrane Review?

l A. Reduction in incidence of trauma to the maxillary incisors

l B. Reduction in incidence of bullying

l C. Improved patient co-operation

l D. Improved clinical outcomes

l E. Increased patient satisfaction

3. What has been linked by the evidence to an increased duration of orthodontic treatment?

l A. Increased malocclusion severity

l B. Poor patient compliance

l C. Low socio-economic status

l D. A and B

l E. All of the above

2. Based on recent research, why is this material not the most appropriate choice?

3. Which material, according to recent research, should be used in this situation?

4. What are the properties of this material that make it a suitable choice in the clinical scenario described above?

5 Can you name other indications for use of this material?

Answers on page 97

PEER-REVIEWED 89 Journal of the Irish Dental Association | April/May 2024: Vol 70 (2)

Sustainability in dentistry part II: Sustainability and the use of chemicals in dentistry

Learning outcomes

This article aims to assist the reader to:

n highlight the potential dangers of chemicals in the environment;

n identify toxic chemicals; and,

n identify safer chemicals to use in practice.

Introduction

The world is now in an existential ecological crisis. Our deleterious and unsustainable impact on the planet has, among other things, increased greenhouse gas emissions, with further injury from plastics and other waste in the environment. The evidence for an accelerating biodiversity crisis and serious soil degradation in many parts of the world is irrefutable.1 The pandemic risk to our species and our planet is not if, but when. We have to change the way we organise society in order to make the future sustainable for all species.

Worldwide health systems are a significant contributor to environmental damage.2 The first article in this series discussed general aspects of sustainability in general practice, and this second article examines the use of chemicals in practice.

Chemicals in the environment

Chemicals in the environment cause many health and environmental hazards. Air pollution, for example, is responsible for about 6.7 million deaths per year worldwide, and 99% of the world’s population live in places where air pollution levels exceed World Health Organisation (WHO) guidelines.3 The effect of toxins and endocrine-disrupting chemicals is becoming more apparent.4 These chemicals can disrupt hormones and may cause developmental and biological harm, even in extremely small amounts.

Numerous industrial chemicals are considered carcinogenic, requiring strict regulation. There are many more chemicals still used in industry, and some household products, which persist in the environment (Table 1). In many cases we do not understand the synergy between different chemicals and the potential for harmful chemicals to be formed by this synergy.

Endocrine-disrupting chemicals number nearly 1,000 according to the Endocrine Society (US).4 Water pollution may be caused by the build-up of chemicals from industry, agriculture and domestic sources. Damage may also be done in the form of accelerated, man-made eutrophication of bodies of water, including drinking water, with consequent deleterious effects on human and animal health.

Dr Nick Armstrong Retired Principal Dental Surgeon Member of the IDA Quality and Patient Safety Committee

Eutrophication describes the accumulation of nutrients in a body of water, which can result in an increase in the number of microorganisms and a reduction in the amount of oxygen in the water. For these reasons, health professionals, as well as others, should aim at all times to use chemicals that break down to safe end products that do not accumulate in the environment and do not damage watercourses.

Use of chemicals in dentistry

As part of the sustainability initiative, selecting the most environmentally friendly chemicals for use in dental settings is crucial. For example, while many of the products essential to decontamination contain chemicals that, at certain concentrations, are toxic to aquatic life or in some other way environmentally hazardous, much of the health and environmental damage associated with them comes from their production, the manufacture and disposal of their containers, and their transport.2,5,6 In this regard, the use of reusable bottles could directly reduce the amount of waste and would have a lower carbon footprint.

The most hazardous decontamination chemicals in dentistry occur in certain brands of wipes, certain brands of washer-disinfector solutions, and in the chemicals used for prosthesis disinfection.2

Choosing the most environmentally friendly chemicals is part of the drive to sustainability. This can be difficult but safety data sheets (SDSs) are available for most chemicals used in dentistry, and no products should be bought unless there is an SDS available. The Health and Safety Authority (HSA) requires that the chemical labels and SDSs for every chemical product used in dental practices are accessible and that the associated hazards have been identified.7 In reality, it is often difficult to be certain of the sustainability of some chemicals, as there is not enough evidence on their environmental impact, especially for new products. Often, sections in the SDS are empty or partially completed, especially those sections on toxicological and ecological information.

For example, an SDS for a non-alcohol surface disinfectant wipe might state in section 11 (toxicological information) that no toxicological data is available, but in section 10 (stability and reactivity), it might state that the hazardous decomposition products include chlorine compounds as well as carbon monoxide, carbon dioxide and nitrogen oxides, leaving the reader to query the validity of the information. The lack of detailed information in SDSs for some hazardous chemicals makes them of limited use in risk management.

Products containing chlorine should be avoided, as the release of these products

Dr Michaela Dalton General dental practitioner, HSE Member of the IDA Quality and Patient Safety Committee

Dr Eamon Croke General dental practitioner, Part-time lecturer, Dublin Dental University Hospital, Member of the IDA Quality and Patient Safety Committee

Corresponding author: Dr Nick Armstrong, E: armstrongnick5@gmail.com

Dr Ahmed Kahatab Specialty trainee in special care dentistry, Education lead, Past President of Irish Society for Disability and Oral Health Member of the IDA Quality and Patient Safety Committee

90 Journal of the Irish Dental Association | April/May 2024: Vol 70 (2) CLINICAL FEATURE

Table 1: The most commonly studied chemicals and where they may be found in our environment.

Chemical Description

Per- and poly-fluorinated substances (PFAS)

Plastics – microplastics

Bisphenol A

Dioxins

Perchlorates

Phthalates

Triclosan

A group of chemicals ubiquitous in the environment and used to make fluoropolymer coatings and products that resist heat, oil and water.

Range of synthetic or semi-synthetic materials that use polymers to produce solid objects.

A colourless solid, which is soluble in most common organic solvents and used in the manufacture of plastics.

A group of chemical compounds that are persistent organic pollutants in the environment.

A chemical compound containing the perchlorate ion.

A group of chemicals used to make plastics more durable.

An antibacterial and antifungal agent. It is toxic to aquatic bacteria and can affect the structure of algae. Best avoided due to environmental effects.

Table 2: Chemicals that should be avoided and those which are safe to use.

Product

Surface wipes

Washer-disinfector tablets

Prosthesis disinfection

Line shock treatment

Suction cleaner

Ammonium chloride, benzoic compound, ethylene glycol, sodium hydroxide

Ammonium chloride, benzoic acid, citric acid, soda ash, potassium hydroxide, ethylene glycol, ethanol, sodium cumenesulphonate

Sodium chloride

Citric acid, sodium hydrogen sulphate, hydrogen peroxide

Ammonium chloride, potassium hydroxide, sodium pyrophosphate

can be harmful to aquatic organisms. Chlorine can damage the cell walls and proteins of living organisms. Chlorine can also, through various chemical interactions, produce carcinogens such as trihalomethane, chloramine and Nnitrosodimethylamine, although the relative health risks of such products are not yet fully quantifiable.2 Oxidising disinfectant products containing chlorine can increase the mobilisation of mercury from amalgam, facilitating the entry of mercury into the environment. Mercury released into the environment can

Products containing these chemicals

Non-stick cookware, water-repellent clothing, stain-resistant clothing.

Shampoos and many other ‘flowing’ products contain microbeads, packaging.

Composite filling materials including fissure sealants, linings of metal cans, plastic bottles.

90% of human exposure is from food, mainly meat and dairy products, fish and shellfish.

Disinfectants, bleaching agents and herbicides.

Plastics and small amounts found in eye shadow, moisturiser, nail polish and hair spray.

Toothpastes, soaps, detergents, toys, surgical cleaning treatments.

Phenol (toxic to aquatic life)

EDTA (toxic to aquatic life), 2-methyl pentane (toxic to aquatic life), benzothiadiazole (biocide)

Sodium hypochlorite (toxic to aquatic life)

bioaccumulate in fish and other organisms and spread throughout the food chain.8 The use and maintenance of amalgam separators is a legal requirement. A HSA inspection will require confirmation that all chemicals are used, stored and disposed of in accordance with the SDS or supplier recommendation. Avoid disposing of any hazardous chemical into the municipal waste water sewage system. Always read the instructions for the use of any chemicals and avoid mixing different chemicals unless advised to by the manufacturer. There is a low

Journal of the Irish Dental Association | April/May 2024: Vol 70 (2) 91
CLINICAL FEATURE
Safe to use Use with caution
if possible
Avoid

possibility of synergism or antagonism between different chemicals that are used in dentistry.9 Caution is required to avoid chemical accidents.

It is important to adhere to the Dental Council’s Code of Practice Relating to: Infection Prevention and Control, 2015, in the decontamination of instruments and dental premises.10 This can be done using chemicals that are non-toxic to the environment (Table 2). A practice protocol may include:

n reducing the use of hazardous materials where possible – try to use chemicals that biodegrade readily into non-toxic chemicals with a low environmental footprint;

n always reading the SDS for any product; and,

n keeping all chemicals in a safe storage area.

Dental restoration materials

The use of amalgam for dental restorations is gradually being phased out in most of the world due to the toxicity of mercury in the environment.11 In Ireland, composite filling materials are generally used instead of amalgam. Some of these materials may contain endocrine disruptors such as bisphenol A.12 Although bisphenol A is not used in the manufacture of dental materials, it is used in the manufacture of monomers common to dental resins, such as bis-GMA, bis-EMA and bis-DMA. Residual bisphenol A may remain from the synthesis process of these monomers, and thus trace amounts may be present as a contaminant in dental resins.13

Currently, composite materials are considered low risk. Components of composite resins can be released during polymerisation and degradation of the material. Patient exposure to these components when placing composite material can be reduced by the use of rubber dam and by ensuring that the curing light and irradiation distance used are adequate to polymerise the particular brand of resin. Nevertheless, there are increasing concerns regarding the safe clinical application of these materials due to their biodegradation in the oral environment. The number and diversity of processes by which composite resins may be degraded in the oral cavity are many and are now recognised as a complex interplay of interactions. Biodegradation may be influenced by several factors including saliva characteristics, chewing, or thermal and chemical dietary changes.

The clinical consequences of composite restoration materials are still not fully understood.12 There is a need for further research to better understand the risks from placement and degradation of composite materials, including potential local and systemic side effects.

The best way forward is to improve dental health generally so that fewer restorations are required.

Cleaning and household products

Domestic cleaning agents used in dental practices may contain potentially dangerous chemicals. For example, household bleach and many cleaners contain chlorine and other chemicals that can be avoided.

Most of the cleaning products on the market we refer to as detergents. Detergents occur in many forms including liquids, tablets and others, and are used for cleaning surfaces, clothes, in fabric care and in many other applications.

A detergent is a mixture containing soap and often a surfactant intended for cleaning purposes.

If professional cleaners are employed, it is best if they can demonstrate that the chemicals they use are environmentally acceptable. Alternative environmentally acceptable chemicals are available from a number of companies in Ireland.

Take home messages:

n the world is in an existential ecological crisis, which affects us all;

n chemicals in the environment are contributing to this crisis – it is vital that we understand this and work to mitigate their effects;

n environmentally hazardous chemicals are used in cleaning and decontamination in dentistry, but some may be substituted with less hazardous options;

n when treating patients, chemicals such as those found in restorative materials require further research but prevention remains the most effective way to reduce environmental harms caused by healthcare;

n sustainable oral healthcare is the provision of equitable, ethical, highquality, inclusive and safe care with appropriate, effective and efficient use of resources. The products that healthcare organisations buy and use (procurement) are essential to securing a safer environment;2 and,

n the dental trade is receptive to making changes in the materials that they offer and must be part of the discussion on chemicals in dentistry.

References

1. Steffen W, Crutzen PJ, McNeill J. The Anthropocene: are humans now overwhelming the great forces of nature? AMBIO J Hum Environ. 2007;36(8):614-621.

2. Duane B (ed.). Sustainable Dentistry: Making a Difference. Springer; 2023.

3. World Health Organization (WHO). Air Pollution Data. Accessed February 28, 2024. https://www.who.int/data/gho/data/themes/air-pollution

4. National Institutes of Health. Endocrine Disruptors and Your Health. Published online March 2023. Accessed February 28, 2024.

https://www.niehs.nih.gov/sites/default/files/health/materials/endocrine_disruptors_ 508.pdf

5. Rosenbaum RK, Bachmann TM, Gold LS, et al. USEtox—the UNEP-SETAC toxicity model: recommended characterisation factors for human toxicity and freshwater ecotoxicity in life cycle impact assessment. Int J Life Cycle Assess. 2008;13(7):532-546.

6. Frischknecht R, Arthur B, Hofstetter P, Suter P. Human health damages due to ionising radiation in life cycle impact assessment. Environ Impact Assess Rev. 2000;20:159-189.

7. Health and Safety Authority. Labelling. HSA. Accessed January 24, 2024. https://www.hsa.ie/eng/your_industry/chemicals/legislation_enforcement/classificatio n_and_labelling/labelling/

8. Roberts HW, Marek M, Kuehne JC, Ragain JC. Disinfectants’ effect on mercury release from amalgam. J Am Dent Assoc. 2005;136(7):915-919.

9. Martin O, Scholze M, Ermler S, et al. Ten years of research on synergisms and antagonisms in chemical mixtures: a systematic review and quantitative reappraisal of mixture studies. Environ Int. 2021;146:106206.

10. Irish Dental Council. Code of Practice: Infection Prevention and Control. Published online April 2015. Accessed February 28, 2024. https://www.dentalcouncil.ie/wpcontent/uploads/2022/08/IPC-Code-Final-20150402.pdf

11. Geneva: United Nations Environment Programme. Minamata Convention on Mercury. Published online 2013. Accessed February 28, 2024. https://minamataconvention.org/sites/default/files/2021-06/Minamata-Conventionbooklet-Sep2019-EN.pdf

12. Gupta SK, Saxena P, Pant VA, Pant AB. Release and toxicity of dental resin composite. Toxicol Int. 2012;19(3):225-234.

13. De Nys S, Duca RC, Vervliet P, et al. Bisphenol A release from short-term degraded resin-based dental materials. J Dent. 2022;116:103894.

CLINICAL FEATURE 92 Journal of the Irish Dental Association | April/May 2024: Vol 70 (2)

Silver diamine fluoride for treatment of caries in the primary dentition

Learning outcomes

n To understand the mode of action and clinical indications for the use of 38% silver diamine fluoride (SDF) in primary dentition; and, n to be aware how to apply 38% SDF in a safe and effective manner.

Introduction

Silver diamine fluoride (SDF) is an increasingly popular and highly effective technique for caries arrest in the primary dentition. SDF is a clear, odourless liquid that flows just like water.1 It is a solution containing silver, fluoride and ammonia,1 and the most commonly used concentration is 38%, which contains 44,800ppm of fluoride.1 While there are many formulations of SDF available worldwide, the only product available in Ireland is Riva Star (SDI Limited). SDF was licensed by the US Food and Drug Administration (FDA) in 2014 for use as a desensitising agent, and this paved the way for its use off label for caries arrest.1,2 While SDF has been used for many years, it had a resurgence during the recent Covid-19 pandemic, as it could be used as a non-aerosol-generating procedure (AGP) option for dentine caries management.3 Furthermore, with the increasing focus on minimal intervention dentistry in children, SDF has been included as a viable option in a number of recent policies2 and best practice guidelines for management of cavitated caries in primary teeth.4,5 Since 2021, 38% SDF has been included in the World Health Organization’s Lists of Essential Medicines for caries management, along with fluoride toothpaste and glass ionomer cement.6

How does SDF work and is it effective?

SDF has a number of mechanisms of action that work synergistically to arrest caries and desensitise once the solution contacts the tooth. The antibacterial effects of silver act synergistically2 with the remineralising ability of fluoride;7 bacteria are killed, demineralised tooth tissue is remineralised, dentine is hardened, and dentine tubules are blocked by the silver precipitate.1 As the carious lesion arrests, it will be stained black due to precipitation of the silver byproducts.7 SDF has been proven to be highly effective in arresting coronal caries in the primary dentition, arresting approximately 80% of treated lesions.7-9 It is more successful when used in accessible areas of the mouth9 and on lesions that the can be kept clean.8 It is recommended that 38% SDF should be applied twice a year for maximum efficacy.7,8 As yet, there is insufficient evidence for using SDF to arrest caries in permanent teeth

Dr Rona Leith

Assistant Professor in Paediatric Dentistry

Division of Public and Child Dental Health

Dublin Dental University Hospital

Trinity College Dublin

in children.8 Aside from being highly effective, SDF has a number of other advantages: it is quick and easy to apply with no caries removal required in advance, and as it requires little co-operation it is ideally suited for younger children.

Are there any disadvantages?

The main disadvantage of SDF is the distinctive permanent black discolouration of the carious enamel and dentine following its use. Although sound enamel will not stain, even non-cavitated demineralisation and white spot lesions will become black.1 It is important to consider this possibility in relation to teeth adjacent to the treated tooth (Figure 1). Caution must be taken during SDF application to avoid temporary staining of the skin and mucosa, which, if it occurs, will resolve in one to three weeks and does not require treatment.1 SDF must be handled with care in the dental surgery as accidental spillage on worktops and clothes will cause permanent staining. Tooth staining may be unacceptable to parents, particularly in the anterior area.7,10 Studies have shown that acceptability of SDF-induced tooth discolouration is dependent on the particular tooth, the situation and the invasiveness of proposed alternatives.11 Some parents will accept SDF if it avoids treatment under general anaesthesia for example; however, 30% of parents will not accept SDF under any

Dr Isabel C. Olegário

Assistant Professor in Paediatric Dentistry

Division of Public and Child Dental Health

Dublin Dental University Hospital

Trinity College Dublin

Corresponding author: Rona Leith, Dept. of Public and Child Dental Health, Dublin Dental University Hospital – Trinity College Dublin E: rona.leith@dental.tcd.ie

93 Journal of the Irish Dental Association | April/May 2024: Vol 70 (2) CLINICAL FEATURE
FIGURE 1: Post treatment with 38% SDF on tooth 84 with black discolouration. Note that the non-cavitated demineralised enamel on tooth 85 (mesially and buccally) is also stained after application.

Table 1: Indications and contraindications for

Indications

n Active cavitated carious lesions not encroaching on the pulp

n Cavitated lesions accessible to microbrush

n Where other treatment is challenged by behavioural or medical management

n Patients with limited access to dental care

Contraindications

n Clinical or radiographic signs of irreversible pulpitis or pulp necrosis

n Caries into pulp clinically or radiographically

n Allergy to silver, fluoride or ammonia

n Ulcerative gingivitis or mucositis

n Insufficient compliance

n Patients undergoing thyroid gland therapy or on thyroid medication (only if using potassium iodide)

Consent and pre-treatment checks

Prepare the tooth

Apply SDF

Apply KI (optional)

circumstance, and therefore it is essential to obtain robust consent using pre and post-operative photographs.11 Other than minor side effects such as transient mucosal irritation and a metallic taste, no serious adverse events, such as allergic reactions or acute toxicity, have been reported when SDF is used as recommended.7,8,12 SDF is not licensed in Ireland and its use for caries arrest is ‘off label’.1 While use of a product ‘off label’ can be acceptable in certain circumstances,1 detailed consent and documentation is advised in this regard, as well as employer support. A comprehensive overview of the use of a SDF ‘off label’ in the UK is provided by Seifo et al. (2020).1

When is SDF indicated and how is it used?

Prior to application, the pulp status of the primary tooth needs to be correctly diagnosed. SDF is indicated for vital teeth with cavitated dentine caries, which are accessible to a microbrush. A comprehensive history, and clinical and radiographic examination are essential, especially for deep caries.4 There is recent evidence that SDF should not be placed on very deep lesions adjacent to the pulp, or on exposed pulps, as it may produce toxic effects, pain, inflammation or pulp necrosis.11,13,14 A summary of indications and contraindications for SDF is shown in Table 1

Riva Star is available as a two-step bottle kit or a two-step single-use capsule kit, and both should be stored in the fridge. The authors recommend use of the single-use capsules (Figure 2) as there is potentially more risk of accidental staining of hands, worktops, etc., when manipulating the bottle kit. The Riva Star capsule kit also comes with a light-cured gingival barrier that can be applied to the gingiva around the tooth for optimal isolation. When using Riva Star, the grey capsule or bottle containing SDF is used first, followed immediately by the green capsule or bottle, containing potassium iodide (KI).15 The use of the KI was thought to reduce staining following SDF application, but there is little evidence for its effectiveness, so this step might be considered optional. Clinicians must be mindful when treating young children to use the minimum amount of SDF possible, and the American Academy of Pediatric

Remind any assisting staff of the potential for staining and cover worktops with plastic-lined bib. Ensure parent is on board and obtain written consent. Ensure the child has plastic-lined bib and safety glasses.

Protect exposed soft tissue (gingiva/lips) with petroleum jelly. Clean the teeth and remove debris – there is no need to remove caries. Isolate tongue/cheeks from the area to be treated with gauze or cotton rolls. If using a gingival barrier, light cure in a fanning motion to avoid hot spots.

Pierce silver capsule with silver microbrush, bend brush and wet tip. Remove excess liquid from microbrush with gauze or on the inside rim of the capsule. Dry tooth with 3-in-1 or gauze. Apply to dentine caries lesion – no need to agitate. Allow to dry for one minute – do not let it come into contact with gingiva, tongue or lips. Blot excess (note: caries may turn black immediately). Continue to isolate the tooth for up to three minutes if possible. Cover with toothpaste to mask the metallic taste (optional). Rinsing afterwards is not necessary.7

Use immediately following SDF application. Pierce green capsule with green microbrush. Apply KI to SDF until creamy white precipitate turns clear. Blot excess. Allow to dry completely.

Dispose of all materials carefully after application, including gloves. The patient should avoid eating/drinking for one hour. Instruct the patient to keep the teeth as clean as possible and organise review appointment.

CLINICAL FEATURE 94 Journal of the Irish Dental Association | April/May 2024: Vol 70 (2)
SDF.4,5,10 FIGURE 2: Riva Star (SDI) 38% SDF single-use capsule kit.
Before use During use After use Steps Description
2: Step-by-step application of 38% SDF (Riva Star capsules).7,16
Post-treatment instructions
Table

Dentistry (AAPD) specifies that no more than one drop of SDF should be used for the entire appointment.10,16,17 This amount would be ample to treat five teeth,17 which would rarely be indicated in a single visit. The step-by-step application of SDF is detailed in Table 2 and Figure 3. There are a number of free resources available to the clinician, including chairside guides,16 specific consent forms,17,18 and YouTube demonstration videos for clinicians and videos for children.

When do I follow up?

The patient should be reviewed after two to four weeks to assess caries arrest.10 Arrested carious lesions should be free of plaque and on probing should feel hard like stone. Hardness rather than colour is the most important factor in assessing caries arrest.1,5 The carious lesions can be restored if desired to improve aesthetics or if adequate cleaning is not maintained or possible. There is no evidence that SDF adversely affects the bond strength of composite or glass ionomer cement to dentine.1,10,19 However, if lesions are left unrestored, SDF should be reapplied biannually. All patients who receive SDF are determined to be high caries risk, and should be reviewed every four to six months.20

Conclusions

Application of SDF requires little skill but correct pulpal diagnosis of the tooth is crucial. SDF is indicated for asymptomatic, vital primary teeth with cavitated caries into dentine. The only significant disadvantage is the tooth discolouration, which necessitates a comprehensive discussion with parents prior to use. SDF is highly effective for caries arrest and is safe when used according to the manufacturer’s recommendations. It is more effective on anterior teeth but parents are more likely to consent for use on posterior teeth. There is evidence that SDF is an extremely useful option for caries management in primary teeth, but it is important to remember that it must be used as part of a holistic caries management plan including dietary counselling and biofilm control.

References

1. Seifo N, Robertson M, MacLean J, et al. The use of silver diamine fluoride (SDF) in dental practice. Br Dent J. 2020;228(2):75-81.

2. American Academy of Pediatric Dentistry. Policy on the Use of Silver Diamine Fluoride for Pediatric Dental Patients. https://www.aapd.org/media/Policies_Guidelines /P_SilverDiamine.pdf. Accessed October 12, 2023.

3. Alsaleh MM, Sabbarini JM, Al-Batayneh OB, Khader YS. Changes in behavior management and treatment modalities in pediatric dentistry during Covid-19 pandemic. Int J Clin Pediatr Dent. 2020;13(Suppl. 1):S125-S131.

4. Duggal M, Gizani S, Albadri S, et al. Best clinical practice guidance for treating deep carious lesions in primary teeth: an EAPD policy document. Eur Arch Paediatr Dent 2022;23(5):659-666.

FIGURE 3a: Cavitation into dentine on tooth 53 with no clinical signs of pulp pathology. Note that lesion is accessible to microbrush and cleansable.

FIGURE 3b: Application of 38% SDF. Note that gingival barrier has been applied in this case (optional).

FIGURE 3c: Tooth 53 after 38% SDF application. Note enamel demineralisation on the buccal surface has also stained black.

5. Slayton RL, Urquhart O, Araujo MWB, et al. Evidence-based clinical practice guideline on nonrestorative treatments for carious lesions: a report from the American Dental Association. J Am Dent Assoc. 2018;149(10):837-849.e19.

6. World Health Organisation. WHO model list of essential medicines – 22nd list, 2021. https://www.who.int/publications/i/item/WHO-MHP-HPS-EML-2021.02. Accessed April 6, 2023.

7. Crystal YO, Niederman R. Evidence-based dentistry update on silver diamine fluoride. Dent Clin North Am. 2019;63(1):45-68.

8. Seifo N, Cassie H, Radford JR, Innes NPT. Silver diamine fluoride for managing carious lesions: an umbrella review. BMC Oral Health. 2019;19(1):145.

9. Fung MHT, Duangthip D, Wong MCM, Lo ECM, Chu CH. Randomized clinical trial of 12% and 38% silver diamine fluoride treatment. J Dent Res. 2018;97(2):171-178.

10. Crystal YO, Marghalani AA, Ureles SD, et al. Use of silver diamine fluoride for dental caries management in children and adolescents, including those with special health care needs. Pediatr Dent. 2017;39(6):146-155.

11. Crystal YO, Janal MN, Hamilton DS, Niederman R. Parental perceptions and acceptance of silver diamine fluoride staining. J Am Dent Assoc. 2017;148(7):510-518.

12. Duangthip D, Fung MHT, Wong MCM, Chu CH, Lo ECM. Adverse effects of silver diamine fluoride treatment among preschool children. J Dent Res. 2018;97(4):395-401.

13. Zaeneldin A, Yu OY, Chu CH. Effect of silver diamine fluoride on vital dental pulp: a systematic review. J Dent. 2022;119:104066.

14. Srisomboon S, Kettratad M, Stray A, et al. Effects of silver diamine nitrate and silver diamine fluoride on dentin remineralization and cytotoxicity to dental pulp cells: an in vitro study. J Funct Biomater. 2022;13(1)16.

15. SDI. RIVA STAR – Instructions for use. Published 2022. https://www.sdi.com.au/pdfs/instructions/en-us/riva%20star%20Bottle_sdi_ instructions_en-us.pdf. Accessed Oct 12, 2023.

16. American Academy of Pediatric Dentistry. The Reference Manual of Pediatric Dentistry. Chairside Guide: Silver Diamine Fluoride in the Management of Dental Caries Lesions. https://www.aapd.org/media/Policies_Guidelines/R_ChairsideGuide.pdf. Accessed April 6, 2023.

17. Horst JA, Ellenikiotis H, Milgrom PM. UCSF protocol for caries arrest using silver diamine fluoride: rationale, indications and consent. Pa Dent J (Harrisb). 2017;84(1):14,16-26.

18. Consent form for the use of silver diamine fluoride (SDF) liquid for treatment of tooth decay. https://www.bspd.co.uk/Portals/0/Consent%20Form%20final.pdf. Accessed April 6, 2023.

19. Ng E, Saini S, Schulze KA, Horst J, Le T, Habelitz S. Shear bond strength of glass ionomer cement to silver diamine fluoride-treated artificial dentinal caries. Pediatr Dent 2020;42(3):221-225.

20. Featherstone JDB, Crystal YO, Alston P, et al. A comparison of four caries risk assessment methods. Front Oral Health. 2021;2:656558.

CLINICAL FEATURE Journal of the Irish Dental Association | April/May 2024: Vol 70 (2) 95
3A 3B 3C

Freehand vs depth-gauge rotary instruments for veneer preparation: a controlled randomized simulator study

Ahlers MO, Cachovan G, Jakstat HA, Edelhoff D, Roehl JC, Platzer U.

Purpose: To investigate whether depth-gauge burs in veneer preparations influence preparation depth in a randomised, controlled, single-blinded trial, and whether inexperienced operators can perform adequate veneer preparations.

Methods: Participants were 20 undergraduate dental students with no prior veneer preparation experience. The instruments used were the ‘laminate veneer system’ (LVS), ‘Keramik-Veneers.de’ (KVD), and a ‘freehand’ group (FH) for reference. All participants prepared three educational acrylic resin maxillae and three mandibular central incisors mounted in typodonts in patient simulators. The objectives were to achieve a preparation depth of 0.6mm (tooth 11) and 0.4mm (tooth 31). The sequences of the instruments used and prepared teeth were randomised. The measurements were performed using a laser triangulation co-ordinate measuring machine. The data were stratified according to tooth location.

Results: The preparation depths of both depth-gauge instrument groups LVS and KVD achieved the objectives significantly better than did the instruments from the freehand group (p<0.001). The differences between the depthgauge groups were insignificant, although the maximum preparation depths were smaller in the KVD group. Regarding the prepared teeth, the preparation depths in the mandibular incisors were lower, and the differences were smaller.

Conclusions: The use of special depth-gauge burs for initial veneer preparation leads to significantly lower preparation depths than freehand preparations. The tapered instruments resulted in a lower incidence of extreme preparation depths. The inexperienced operators performed veneer preparation remarkably well.

J Prosthodont Res. Published online October 17, 2023.

Non-carious cervical lesions: morphology and progression, prevalence, aetiology, pathophysiology, and clinical guidelines for restoration

Goodacre CJ, Roberts WE, Munoz CA.

Purpose: To synthesise the literature regarding non-carious cervical lesions (NCCLs) and propose clinical guidelines when lesion restoration is indicated. Material and methods: A PubMed search was performed related to NCCL morphology, progression, prevalence, aetiology, pathophysiology, and restoration.

Results: NCCLs form as either rounded (saucerlike) depressions with smooth, featureless surfaces that progress mainly in height, or as V-shaped indentations that increase in both height and depth. Prevalence ranges from less than 10% to over 90%, and increases with age. Common locations are the facial surfaces of maxillary premolars. They have a multifactorial aetiology due to personal habits such as excessive horizontal toothbrushing and consumption of acidic foods and drinks. Occlusal factors have been identified as contributing to the prevalence of NCCLs in some studies, whereas other studies indicate that there is no relationship. The concept of abfraction has

been proposed, whereby mechanical stress from occlusal loading plays a role in the development and progression of NCCLs, with publications supporting the concept and others indicating it lacks the required clinical documentation. Regardless of the development mechanism, demineralisation occurs and NCCLs are one of the most common demineralisation diseases in the body. Treatment should be managed conservatively through preventive intervention, with restorative treatment delayed until it becomes necessary due to factors such as lesion progression, impact on the patient's quality of life, sensitivity, poor aesthetics, and food collection. Composite resins are commonly used to restore NCCLs, although other materials such as glass ionomer and resin-modified glass ionomer are also used. Sclerotic dentine does not etch like normal dentine and therefore it has been recommended to texture the dentine surface with a fine rotary diamond instrument to improve restoration retention. Some clinicians use mechanical retention to increase retention. Bevelling of enamel is used to increase the bonding area and retention, as well as to enhance the aesthetic result by gradually creating a colour change between the restoration and tooth. Both multistep and singlestep adhesives have been used. Dentine etching should be increased to 30 seconds due to the sclerotic dentine, with the adhesive agent applied using a light scrubbing motion for 20 seconds but without excessive force, which induces substantial bending of a disposable applicator. Both flowable and sculptable composite resins have been successfully used with some clinicians applying and polymerising a layer of flowable composite resin and then adding an external layer of sculptable composite resin to provide enhanced resistance to wear. When caries is present, silver diamine fluoride has been used to arrest the caries rather than restoring the lesion.

Conclusions: NCCLs form as smooth saucerlike depressions or as V-shaped notches. Prevalence values as high as 90% and as low as 10% have been reported due to habits such as excessive toothbrushing and an acidic diet. Occlusal factors have been proposed as contributing to their presence but it remains controversial. Publications have both supported and challenged the concept of abfraction. NCCLs are one of the most common demineralisation diseases in the body. Conservative treatment through prevention is recommended, with restorative treatment delayed as long as possible. When treatment is needed, composite resins are commonly used, with proposed restorative guidelines including texturing the sclerotic dentine, bevelling the enamel, potential use of mechanical retention, 30 seconds of acid etching, and use of either multistep or single-step adhesives in conjunction with a light scrubbing motion for 20 seconds without excessive force placed on disposable applicators.

J Prosthodont. 2023;32(2):e1-e18

Minimally invasive CAD/CAM lithium disilicate partialcoverage restorations show superior in-vitro fatigue performance than single crowns

Spitznagel FA, Prott LS, Hoppe JS, et al.

Objective: To analyse the influence of restoration design (partial-coverage restoration vs crown) and ceramic layer thickness on the performance and failure loads of CAD/CAM-fabricated lithium disilicate (LDS) reconstructions on molars after fatigue.

96 Journal of the Irish Dental Association | April/May 2024: Vol 70 (2) NEW DENTAL SCIENCE

Materials and methods: Seventy-two posterior monolithic CAD/CAMfabricated LDS restorations (IPS e.max CAD; Ivoclar Vivadent) with different occlusal/buccal ceramic layer thicknesses (1.5/0.8, 1.0/0.6, and 0.5/0.4mm) and restoration designs (PCR: non-retentive full-veneer/partial-coverage restoration; C: crown) were investigated and divided into six groups (n=12, test: PCR-1.5, PCR-1.0, PCR-0.5; control: C-1.5, C-1.0, C-0.5). LDS restorations were adhesively bonded (Variolink Esthetic DC, Ivoclar Vivadent) to dentine-analogue composite dies (Z100, 3M ESPE). All specimens were subjected to thermomechanical loading (1.2 million cycles, 49N, 1.6Hz, 555°C) and exposed to single load to failure testing. Failure analysis was performed with light and scanning electron microscopies. Data were statistically analysed using ANOVA, Tukey-Test, and t-test (p<0.05).

Results: Eight crown samples (C-0.5) and one PCR specimen (PCR-0.5) revealed cracks after fatigue, resulting in an overall success rate of 87.5%

(crowns: 75%, PCRs: 96.88%). Direct comparisons of PCRs versus crowns for thicknesses of 0.5mm (p<0.001) and 1.0mm (p=0.004) were significant and in favour of PCRs. Minimally invasive PCRs (0.5 and 1.0mm) outperformed crowns with the identical ceramic thickness. No difference was detected (p=0.276) between thickness 1.5mm PCRs and crowns.

Conclusions: Minimally invasive monolithic CAD/CAM-fabricated posterior LDS PCRs (0.5 and 1.0mm) resulted in superior failure load values compared to minimally invasive crowns. Minimally invasive crowns (0.5mm) are prone to cracks after fatigue.

Clinical significance: Minimally invasive CAD/CAM-fabricated LDS PCR restorations with a non-retentive preparation design should be considered over single crowns for molar rehabilitation.

J Esthet Restor Dent. 2024;36(1):94-106.

Quiz answers

Questions on page 89.

1. Calcium hydroxide.

2. Calcium hydroxide has poor mechanical properties, with an absence of sealing properties and incomplete hard tissue formation over the exposed pulp.

3. Hydraulic calcium silicate materials/mineral trioxide aggregate (MTA)/Biodentine.

4. The initial compressive strength of MTA is low but after three weeks the compressive strength is the same as EBA (reinforced zinc oxide eugenol (ZnOE)). It demonstrates a strong biocompatible nature owing to the high

pH, and has the ability to form hydroxyapatite/induce hard tissue formation. MTA materials afford less microleakage than traditional materials.

5. Other indications include: n internal and external root resorption; n perforation repair; n root end filling material; n apexification; n vital pulpotomy/partial pulpotomy; and, n indirect pulp therapy.

Journal of the Irish Dental Association | April/May 2024: Vol 70 (2) 97 NEW DENTAL SCIENCE

CLASSIFIEDS

SITUATIONS VACANT Associates

Associate position in Newbridge. Full- or part-time options. Longestablished, busy family practice. Private/PRSI. Digital practice, scanner, orthodontist, hygienist, oral surgeon. Contact shackletonclinic@gmail.com

Malahide, Co. Dublin – two days available for experienced, enthusiastic associate in busy, modern general practice. Well-established family practice. Private/PRSI only. Please email CV to dentistjobmalahide@gmail.com

South Cork. City centre 30 minutes. Experienced, enthusiastic associate (fulltime) required for busy practice. Superb support staff, progressive modern environment. Well equipped. Endodontic/restorative experience very welcome. Flexibility crucial. Good remuneration. Email niall@innovativedental.com

Enthusiastic dental associate required for a busy, long-established Cork City practice. Fully computerised, modern, fully private, PRSI. Excellent support staff. Mentoring dentist if required. Excellent remuneration. Contact Jennifer at info@cantydental.ie or by phone on 086-310 5392.

Aesthetic-minded associate dentist required for busy clinic in Galway City. State-of-the-art facilities with fully digital workflow. Friendly and experienced support staff. Full- and part-time hours considered. Contact ethna@galwaydentalgroup.ie

Classified advertisements are accepted via the IDA website –www.dentist.ie – only, and must be pre-paid. The deadline for receipt of advertisements for inclusion in the next edition is Friday, May 10, 2024. Classified ads placed in the Journal are also published on www.dentist.ie for 12 weeks. Please note that all prices are inclusive of VAT. Advert

Associate required, option of full- or part-time. South Co. Dublin near M50/N11. Very busy, independent private practice with great support staff and friendly atmosphere. 50% split. New equipment, digital practice, IO scanner, parking, etc. Contact jobs@ballybrackdental.ie

Experienced associate required for busy Dublin 7 practice. Superb team, progressive welcoming culture. Aligner and composite bonding experience very welcome. Private/PRSI only. Contact Bobby@HealthcareMarketingIreland.ie

Experienced associate required in busy, modern practice, 30 minutes from M50. Excellent earning potential, great patients and support staff. Private/PRSI only. Flexible start for the right candidate. CV to aidan@kinnegaddental.ie

Experienced dental associate required Waterford City. Full-time position available in private-only clinic. Special interest welcomed. Excellent backroom support. Visiting periodontist, orthodontist, oral surgeon, implantology. New surgery, digital scanner, CBCT. Immediate start. Please send CV to bpm.gmedical@gmail.com

Dental associate required in Wexford Town. Flexible hours available in private, well-established clinic. Be part of a great multidisciplinary team focussing on general dentistry, orthodontics, oral surgery and implants. Excellent backroom support. Cerec, in-house laboratory, CBCT. Contact southeastdental46@gmail.com

Associate dentist wanted in Douglas, Cork. Full book. Modern surgery. Private/PRSI only. Four days a week (Tues/Wed/Thurs/Sat). Contact info@elmwooddental.ie

Flexible part-time dental associate position available in Dublin. Wellestablished, fully private practice with state-of-the-art facilities including a 3Shape scanner, digital imaging and Exact software. Specialists and hygienists available. Experienced support staff. Free parking. Contact dublindentistposition@gmail.com

The maximum number of words for classified ads is 40.

If the advert exceeds 40 words, then please contact:

Think Media, The Malthouse, 537 North Circular Road, Dublin 1.

Tel: 01-856 1166 Fax: 01-856 1169 Email: paul@thinkmedia.ie

Please note that all classified adverts MUST come under one of the following headings:

4 Situations wanted

4 Practices for sale/to let

4 Equipment for sale/to let

4 Situations vacant

4 Practices wanted

Classified adverts must not be of a commercial nature. Commercial adverts can be arranged by contacting Paul O’Grady at Think Media.

Dental associate required for modern four-surgery practice, Cavan Town. Progressive practice. OPG, computerised surgeries, iTero scanner, endo microscope, in-house endo and oral surgery referrals available. Hours flexible if required. 50% remuneration. Apply with CV to frances@railwaydentalsurgery.com

New graduates! Are you looking for a team to mentor you? A team who has done it before? Apply today for your associate position. Modern practice, orthodontic/implant exposure, cosmetic dentist Dr Ambrish Roshan. Email CV to Kingscourtdentalpractice@gmail.com

Associate required for busy west Dublin two-surgery practice to replace departing colleague. Excellent support staff, friendly atmosphere. Full-time available but all options considered. Reply with CV to dentalposition057@gmail.com

Dental associate required for busy three-surgery practice in Buncrana. Fulltime position Monday to Friday. Only 20 minutes from Derry City. Email maevemulholland65@gmail.com

Skilled associate dentist required to join private practice in Sligo Town. Part-

98
size Members Non-members up to 25 words ¤135.30 ¤270.60 26 to 40 words ¤161.70 ¤330.65
of the Irish Dental Association | April/May 2024: Vol 70 (2)
Journal

time position initially. State-of-the-art facility, supportive friendly team, and ever-expanding patient base. Contact rosemarie@winestreetdental.com

Part-time or full-time associates wanted for our Swords/Terenure/Wexford/Waterford locations. Superb opportunity to join our established private practices. Excellent rates. Fully digital Primescan/3Shape scanners, digital X-ray, full patient book. IDC registration required. Contact jobs@dentaltech.ie

Ennis, Co. Clare. Associate for busy practice required. Great work–life balance. Great staff, happy environment. Exciting time to join an expanding clinic. Great opportunity. Excellent remuneration, experience preferred. Please reply to mahonydentalltd@gmail.com

Full-time dental associate required for busy dental clinic in Dublin 12. Full range of general treatments. Modern, computerised surgery, OPG and Cerec. Basic endo and prostho experience required. Email CVs to info@cleardentalcare.ie. Start date May 2024.

Seeking a skilled dental associate or partner to provide exceptional care. Competitive compensation, growth opportunities, and a friendly work environment. Stunning digitally focused clinic at the Beacon, Sandyford. Contact tom.linehan@seapointclinic.ie

Dental associate required in Ivory Dental Care, Malahide. Fully private general practice. Trios scanner, CEREC Primescan and Primemill, WaveOne endo with Elements IC obturation system, IV sedation, dental hygiene team. Associate must be comfortable treating kids. Contact eamonnugent@ivorydental.ie

Dentists

Meath. Part-time dentist required. Minimum two years’ experience. Mixed practice. Molar endo, OPG/CBCT, implants microscope, Piezotome, facial aesthetics. Excellent staff. Contact drjmkelly@gmail.com

Looking for a tropical sea change? Check out Darwin, Australia! Our general practice is supported by a periodontist, Prime Practice, and an on-site digital laboratory to provide high-quality, ethical dentistry in a caring environment. Mentorship available! Contact admin@casuarinasquaredentalcare.com.au

We are recruiting experienced general dentists for our multidisciplinary clinics located in Limerick, Roscrea and Blackrock. Join our partnership and work in busy modern clinics with strong support teams, with opportunities to enhance your skills and broaden your experience. Contact jobs@shieldsdentalclinic.ie

Position for general dentist in a busy clinic in the west of the country. Computerised, digital X-rays, OPG, new chair, good support staff. Please email with CV. Start date April 2023. Will accept overseas applicants registered with the IDC. Contact: freshdental.ireland@gmail.com

Want a lifestyle change? Come to New Zealand! Accredited employers with modern practices looking for dentists. Excellent remuneration/relocation packages. Contact www.lakescaredental.co.nz

Dental Care Ireland Dundrum – dentist, minimum two years’ experience required, established practice has full patient book on offer. Friendly and

experienced support team in place. Private and PRSI only. Part/full-time options. Must have IDC registration. Contact: careers@dentalcareireland.ie

Full-time dentist required to cover maternity leave in busy Galway city centre practice from April 2024. Long-term options available. Contact Dentistgalway00@gmail.com

Navan, Co. Meath: Full-time dentist required for busy, friendly, longestablished, fully private practice. Supportive, experienced team. Excellent remuneration. CV to deirdreodwyer4@me.com

Full-time or part-time dentist position available in fully private, wellestablished practice in Dublin. State-of-the-art facilities and digital equipment. Specialists and hygienists working in clinic. Mentoring available if required. Friendly and experienced support staff. Contact dublindentistposition@gmail.com

Clinic in Dublin 1 looking for part-time dentists, specialists. Modern, busy practice. Immediate start available. Email CV to dublindentist.ie@gmail.com

Two primary care dentists sought for two locations in the Pearls Dental Group, Monday and/or Fridays in both Castleknock and Maynooth (four days in total). Fully private, computerised SOE Exact, OPG, digital PA. February start. Contact vinicius@pearlsdental.ie

General dentist required in Smart Dental, Dublin 14, two to three days, full book, excellent remuneration, OPG, scanner, great team, parking. Must have IDC registration. Mentoring available. Contact smartdentald14@gmail.com

Full-time, part-time general dentist position available in busy practice at Dunboyne Dental Surgery, Co. Meath. On-site fully fitted dental laboratory. Private/PRSI only. Please send your CV to dunboynedentallab@gmail.com

Full/part-time dentist required in Cork city. Settled team, supportive environment, hassle-free dentistry, 50% split. Contact rrdentals4@gmail.com

We are seeking a dedicated and experienced dentist to join our team in Dunboyne, Co. Meath. Email your CV to dunboyneorthodontics@gmail.com

Owl Dental, a premier, modern, digital dental practice in Wexford Town with a scanner, seeks a general dentist with IDC registration. Part/full-time available. Contact owldentaljobs@gmail.com

Experienced general dentist required for specialist dental practice in Ballsbridge, Dublin 4, to work alongside resident periodontist, orthodontist, prosthodontist, hygienists to provide basic dental care for our patients. Day’ negotiable. Fully computerised with CBCT, OPG and 3D scanner. Contact smythk@burlingtondentalclinic.com

Canada and USA jobs available for Ireland-educated dentists. We sponsor licensing examinations and work visa/immigration. Good salary. Apply now to hr@canadanorthdentists.ca

Wexford Town. Bride Place Dental. Maternity leave position, starting June/July, flexible days up to four/week. Modern, fully digital practice with scanner, excellent support team. Relaxed and friendly working environment, with excellent remuneration on offer. Contact ailbhelouisemurphy@gmail.com

Dentist required for a busy, modern practice in Ballina, Co. Mayo.

CLASSIFIEDS 100
Journal of the Irish Dental Association | April/May 2024: Vol 70 (2)

CLASSIFIEDS

Private/PRSI practice with hygienist and full support from our experienced and friendly team. Contact joemorrin@outlook.ie

Dedicated, experienced dentist required to join award-winning practice one hour from Belfast/Dublin. In-house oral surgeon and denture clinician. Contact mbcar06@gmail.com

Primary care dentists to join busy Castleknock and Maynooth practices. Pearls Dental. Mon-Sat. Exceptional team, fully private/PRSI. SOE Exact, OPG, digital PA. Contact vinicius@pearlsdental.ie

Dentist required in busy south Tipperary practice. Five days a week available but all options considered. Computerised modern practice with excellent, experienced support staff and friendly working atmosphere. Reply with CV to dentalpost1@gmail.com

6/12 maternity leave position available in modern progressive practice. Digital X-rays, IO and CT scanners. In-house implants, ortho, 40 minutes north of Dublin Airport. Full clinical support. Starting March/April. CVs to dentistnortheast01@gmail.com

Kilkenny dental practice requires a partner to help run the practice operating from a modern, state-of-the-art building. There’s an opportunity to take over the practice with reduced capital payment. Email seamus@dod.ie

Dental Care Ireland Greystones – fantastic opportunity, full- or part-time hours in our established private and PRSI practice. Fully digital, iTero scanner, full patient book. Fully supported by our friendly and experienced clinical team. IDC registration required. Contact careers@dentalcareireland.ie

Dental Care Ireland Waterford – general dentist, full- or part-time hours in our private and PRSI practice. Fully supported by our friendly and experienced clinical team. IDC registration required. Fully digital, iTero scanner, full patient book on offer. Contact careers@dentalcareireland.ie

Dentist required for our busy, modern, fully private practice in Ferbane, Co. Offaly. State-of-the-art equipment with Cerec, 3Shape scanners. Position suits an enthusiastic associate who wishes to develop with a progressive team. Excellent remuneration. Contact deirdre@thejamesclinic.com

Looking for a friendly, motivated general dentist to work with our team in Naas, Co. Kildare. Modern digital clinic, 3Shape intra-oral scanner, CBCT, nice environment to work. Contact hungariandentist@gmail.com

Full- time general dentist required for busy, well-established dental practice in Celbridge, Co. Kildare. PRSI and private patients. Free on-site parking. Contact info@oreillysdentalpractice.ie

Looking for a friendly, motivated general dentist to work with our team in Dublin. Modern, digital clinic, 3Shape intra-oral scanner, CBCT, supportive environment to work. Fully private busy practice. Flexibility in days and hours. Excellent remuneration. Contact dublindentistposition@gmail.com

Experienced restorative/cosmetic dentist required to join modern, digitalised, fully private Dublin City practice. Experience with bonding, veneers, crown and bridge work. Full support team, lab, co-ordinators. Strong cosmetic patient numbers. Training and mentorship possible. Excellent remuneration potential. Contact shauna@3dental.ie

Cork City multi-surgery practice requires dentists. Flexible hours. Full support. Irish Dental Council registered mentor. Contact info@onslowdental.ie

Dental Care Ireland Killarney – general dentist, flexible hours in our busy, expanding practice. Fully supported by our friendly and experienced team. IDC registration required. Why not join the 2023 Colgate Caring team of the year! High earning opportunity. Contact careers@dentalcareireland.ie

Locums

Locum dentist required for full-time position to cover maternity leave from April to September in busy, private north Dublin practice. Potential for longterm position. Contact dublin3locum@gmail.com

Specialist/limited practice

Orthodontist required for busy practice in Waterford City. Opportunity for partnership long term. Call Mary O’Keeffe on 087-317 2509.

Periodontist required to join specialist practice in north east and Dublin. Large existing referral pool. Opportunity to work in a specialist environment with dental specialists. CBCT. Large number of implant cases. Candidates

102 Journal of the Irish Dental Association | April/May 2024: Vol 70 (2)

must demonstrate certified training in periodontology. Contact D3periopros@gmail.com

Periodontist wanted for a very busy and long-established multidisciplinary specialist referral practice in the west of Ireland. In-house prosthodontist and modern practice with potential for further expansion. Existing perio/implant waiting list. Full- and part-time work available. Contact: perio@riverpointdentalclinic.ie

Endodontist needed for busy, modern, north Dublin practice. Vacancy for twice a month with a view to extend. Please send CV to Maria.mclouglin@smartdentalcare.co.uk or Rosanna.Roddy@smartdentalcare.co.uk

Periodontist urgently required to join existing periodontist. Laser, CBCT, sedation on site. Long waiting list. Great remuneration. Impressive modern referral clinic. Ideal for new graduate. Contact tomas.allen@kingdomclinic.ie

Orthodontist required Newbridge, Co. Kildare. Flexible hours/days available – join our multidisciplinary team with intra-oral scanners, fully digitalceph/CBCT, in high-end facilities. Multiple chairs available. Please send CV to bpm.gmedical@gmail.com

Orthodontist required to join busy Castleknock and Maynooth practices. Part/full-time. Exceptional team. SOE Exact, OPG, digital PA. Contact vinicius@pearlsdental.ie

Busy, four-surgery, modern, progressive dental practice in Cork suburbs seeks orthodontist to replace departing colleague. Very busy book, two days per week, digital X-rays, IO and CT scanner, in-house implants. Contact info@guineydental.ie

Busy, four-surgery, modern, fully digital, including iTero, dental practice north Co. Dublin seeks orthodontist to replace departing colleague. Very busy book. Excellent support staff. Flexible hours, part- or full-time. Up to ¤250,000 pre tax, after costs. Contact dublindentistblackrock@gmail.com

Dental Care Ireland West of Ireland – we need an orthodontist to join our team. Fully supported by our friendly and experienced clinical team. High earning opportunity within our modern practice. Flexible hours, busy patient books on offer. IDC registration. Contact careers@dentalcareireland.ie

Specialist orthodontic practice in north Co. Dublin looking for an orthodontist to join our team. Several sessions available a week. Modern practice, fully digital with excellent facilities – scanner, 3D printer, OPG/ceph and an experienced, friendly support team. Contact: northdublinassociate@gmail.com

Journal of the Irish Dental Association | April/May 2024: Vol 70 (2) 103 CLASSIFIEDS

Laboratory technicians

Specialist dental practice in north Dublin seek experienced dental laboratory technician (full-time) to plan, design and fabricate dental implant prostheses. Extensive knowledge of traditional and digital methods, including CAD/CAM, milling, 3D printing. Contact hrmanager@ncdental.ie

Hygienists

Letterkenny. Hygienist wanted for busy, modern five-surgery practice. Practice has special interests in implants, endodontics and orthodontics. Full/part time. Contact siomurr@hotmail.com

Carlow Town. Hygienist position to take over established book. Own surgery and excellent support staff. Strong hygiene ethos in surgery. Days negotiable. Contact caroline@kiwidental.ie

Hygienist required two to three days/week. South Co. Dublin near M50/N11. Very busy, independent practice with great support staff and friendly atmosphere. New equipment, digital practice, parking, etc. Contact jobs@ballybrackdental.ie

Part-time hygienist required to join our team in Cork city centre. Supportive environment, stable team and competitive rate. Contact rrdentals4@gmail.com

Sligo. Hygienist wanted to join our existing team due to high patient demand. Private fees, lower cost of living on beautiful west coast. Contact Sligodentaljob@gmail.com

Flexible part-time hygienist position available in Dublin. Very busy, wellestablished private practice with excellent support staff and friendly atmosphere. New equipment and free parking available. Excellent remuneration. Replacing a long-term colleague who is moving abroad. Contact dublinhygienistposition@gmail.com

Dental hygienist required for one to two days per week in established, independent Limerick city centre practice. Fully computerised, Cavitron, PROPHYflex, intra-oral cameras, nursing support for instruments, full book. Existing hygienists on site in a supportive team. Excellent remuneration. Contact hr@murphydentalcare.ie

Galway. Hygienist position available due to very high demand to join existing team. One to three days. Cavitron and dedicated hygiene surgery. Free parking, easy access. Contact clarinbridgedental@gmail.com

Dental nurses/receptionists/managers

Dental nurse-receptionist position available full-time/part-time in busy practice at Dunboyne Dental Surgery, Co. Meath. Please send your CV to dunboynedentallab@gmail.com or call 01-801 5695.

Dental nurse-receptionist position available full-time/part-time for busy private practice in south Dublin. Digital work flow, hygienist, full support staff.

Contact sandyfordhall.dentist@gmail.com

Dental nurse/dental receptionist, part/full-time position available at expanding, long-term established dental practices in Malahide and Donabate. Contact reception@malahidedentalclinic.ie

Part-time nursing role available at weekends in modern, busy practice: Swords

Dental. Short and flexible hours with good remuneration for an experienced candidate. Contact colinpatricklynam@hotmail.com

PRACTICE FOR SALE/TO LET

Busy, two-surgery practice with room to expand. Great location in town centre, Co. Meath, 25 minutes from Dublin. Well equipped. Parking close by. Very low overheads on rent. Computerised and digitalised. Fairly priced for speedy sale. bebilonv@gmail.com

Excellent, well-maintained, three-surgery ground floor modern practice for sale in Cork. Computerised (SOE) with digital OPG and X-ray room. Good hygiene book. Contact steven@medaccount.ie in confidence or call 086-068 1242.

Kilkenny. Excellent two-surgery, ground floor, modern practice for sale. Digital OPG, orthodontics, hygienist. Great location, free parking, low overheads. Private/PRSI. Loyal patient base. Contact dentalclinickilkenny@gmail.com

Wexford Town. Two-surgery, ground floor, modern practice for sale. Excellent equipment. General and cosmetic dentistry, orthodontics and Implants. Great location, low overheads. Parking close by. Private/PRSI. Loyal patient base. Very experienced support staff. Principal available for transition. Contact mmarsg@gmail.com

Co. Wicklow, excellent location. Long established in the area. Very busy/high footfall. Two surgeries, separate decontamination room. Low overheads: rent. Good room for expansion. Modern equipment – digitalised OPG. Ample parking available. Principal available for transition. Excellent potential. Contact niall@innovativedental.com

Long-established practice for sale in Kildare. Centrally located. Private/PRSI. Loyal patient base. Principal retiring. Good hygiene book. Fairly priced for speedy sale. Contact dcsdentalsurgery@gmail.com

Cork City. Mainly private, minimal MC, ground floor, excellent condition, twosurgery, very busy, long established. Excellent location, growing population. Modern equipment, computerised, digitalised, hygienist. Strong new patient numbers. Property: flexible options. Principal available for transition. Large potential. Contact niall@innovativedental.com

EQUIPMENT FOR SALE

Retirement sale. Three ceiling-mounted dental lamps in excellent condition. One Siemens, two Faro. Welcome to view. Or will share WhatsApp photos. Contact gscullion32@gmail.com

Planmeca Classic 16-year-old ¤2,800 price negotiable. Condition: in need of repair. Vac Station ¤490, three years, good condition. ShadeStar eight years, ultrasonic bath, small equipment, AutoSyringe Vista. Contact yoursmile2612@gmail.com

As a member of the Irish Dental Association you can use this logo on your website and other practice material. Contact aoife@irishdentalassoc.ie for details.

104 Journal of the Irish Dental Association | April/May 2024: Vol 70 (2) CLASSIFIEDS MEMBER 2024

Patients can nominate their dentist or dental team at www.colgatecaringawards.ie

Keep Ireland Smiling
Caring Dentist Awards 2024 Date for your diary Awards Ceremony Saturday November 23rd 2024 Are you the Colgate Caring Dentist for 2024?

Getting the show on the road

The Annual Conference Committee is tasked with organising a relevant, engaging and thoughtprovoking IDA Annual Conference each year.

The Annual Conference Committee of the IDA ensures that the Association puts on a relevant and enjoyable conference each year. Annual Conference Committee Chair Dr Kieran O’Connor (pictured left) says the aim of the Conference is to be practical, and to address what future trends may be on the horizon: “We always want something that is going to be very practical, but you also want the higher end aspirational stuff that dentists may want to apply. We also very much look at the feedback from last year's conference and the year before when planning”. The Committee normally has two face-to-face meetings per year and then further discussions through Zoom. Kieran says getting everyone into a room is invaluable, but that Zoom is very useful as the Committee is spread out across the country. The Conference is about providing CPD to those from general practice, HSE practice and specialist practice, and the Committee tries to have members from these areas, along with an age and geographic spread.

There is a long lead-in time to the conferences, with the Committee thinking about the following year’s conference before the current year’s one has taken place. This is necessary when trying to book top international speakers.

Meet the members

Dr Daniel Collins

Daniel is one of the principal dentists at Docklands Dental in Dublin. He is into his second stint on the Annual Conference Committee. From 2017, he took part in organising a few conferences before stepping back to focus on family: “I took a break for a while as I had a young family (and still do, albeit a little older). I was asked this year by IDA President Elect Dr Rory Boyd, a friend and colleague, if I’d like to be involved again”.

Daniel enjoys being part of the Committee and finds it rewarding when you see the calibre of speakers that attend the Conference each year: “This year will be the first time I’ve been to Kerry for an annual conference as well, so that was an added attraction (not to mention the golf!)”.

The Committee is active in going to other international conferences, and the members have a broad range of interests, which allows them to spot topquality speakers to invite to the IDA’s Conference. The Committee will start with a long list of topics and then whittle it down to the core issues. Committee members will then approach potential speakers. Kieran says the IDA is great at compiling data on what members want and what delegates liked from previous conferences: “It's all about trying to push the boundaries of where the science is at, but always being conscious that you want dentists to be able to apply what they've learned when they go back to practice the following week”.

The Committee likes to give dentists plenty of choice with the Conference programme. Dentists are curious and while they might not have an interest in using a technique or working in a certain area, they often have an interest in what’s going on in the broader dental field as dental scientists.

The Committee sees one or two new faces each year, along with a continuity of experienced members. Kieran says the Conference is continually evolving along with dental treatment: “We are managing patients who will now keep teeth for their whole lives, which wasn't happening 30 years ago. So what we do every day has evolved. The Conference is evolving to help it stay relevant to that”.

Kieran describes it as a fun committee: “You're really trying to create something that people are going to enjoy. It's not just another committee where you're discussing finances or other things”.

Daniel has received great feedback from colleagues around this year’s programme: “Which makes it very satisfying after all the time spent on Zoom calls to put the event together. Well done to all involved”.

Conference Committee members

Dr Kieran O’Connor (Chairman)

Dr Daniel Collins

Dr Aoife Crotty

Dr Aisling Donnelly

Dr Mary O’Keefe

Ms Elaine Hughes

Ms Aoife Kavanagh

106
COMMITTEE PROFILE
Journal of the Irish Dental Association | April/May 2024: Vol 70 (2)

DIRECTOR’S MESSAGE

Stormont warned NHS dentistry in its ‘final days’

This service needs a lifeline, if we’re going to protect it from the hammer blow of the ban on amalgam fillings.

Armed with devastating evidence from members, we warned Stormont’s Windsor Framework Democratic Scrutiny Committee that it’s a make or break moment for dental services in Northern Ireland. There’s a chance for officials to roll out an already crash-tested model of reform from Scotland, or to continue sitting on the sidelines, as the service sinks.

The numbers couldn’t be any clearer. Some 75% of dentists in Northern Ireland have reduced their NHS commitment since lockdown – by an average of one-quarter. Some 88% now say they intend to reduce – or further reduce – that commitment in the year ahead, with 49% saying they are likely to go fully private.

The reasons why are obvious. Almost every respondent stressed that costs to provide health service care have increased and are putting the service at risk. And less than one in 10 believe that the Department of Health has acted to adequately mitigate these costs.

Perfect storm

The amalgam ban makes for a perfect storm. Without the Stormont Brake being applied, the ban expected from January 1, 2025, could force over 88% of practices to pare down or end their NHS work if mitigations aren’t in place. It’s a stark message, which we took to Stormont and to every media outlet in NI.

The path ahead is uncertain. What is clear though, is that the current contract is failing practices and patients across NI. Urgent action is needed here to avoid, as Dr Ciara Gallagher warned, the “final blow” for NI dentists. “Dentists have told us they are working in what feels like the final days of this service,” said Ciara. “Delivering health service care at a loss and developing private work simply to break even. None of this is inevitable. A restored Stormont has the power to ensure NHS dentistry can once again stand on its own two feet,” she added. “If it doesn’t, this service will die.”

"If I am placing a large silver amalgam filling, it takes me three times as long to place a large white filling.”

Warning should be heeded

It’s been a hard message for us to deliver, but it has cut through. “The British Dental Association’s warning should be heeded” said the Belfast Telegraph The same tone has been struck by commentators across print and broadcast media. It’s a matter of simple maths. "White fillings take longer to place than amalgam fillings," Ciara told the Committee. "If I am placing a large silver amalgam filling, it takes me three times as long to place a large white filling. What you are doing is trebling your treatment time. If you are trebling your treatment time, you are reducing your capacity and you can't see as many patients.”

We have momentum here, and we are resolved to press this message forward. No health professional should be expected to deliver NHS care at a loss. And we need urgent action to prevent the wholesale collapse of services across NI.

Our thanks to every member who provided us with evidence. Officials in Stormont need only pick up the phone to their opposite numbers in Holyrood to get started. NHS dentistry in NI could begin the journey towards sustainability tomorrow, if the restored Stormont Government chose to make that decision.

59 Journal of the Irish Dental Association | April/May 2024: Vol 70 (2)
The BDA NI delegation (backs to camera) made their case to the Windsor Framework Democratic Scrutiny Committee at Stormont.

Turn static files into dynamic content formats.

Create a flipbook
Issuu converts static files into: digital portfolios, online yearbooks, online catalogs, digital photo albums and more. Sign up and create your flipbook.