Age-defining Principles of Smile Design
Dental Care in the Network Age
Dentaverse

The 26th Jordanian International Dental Conference
May 2023
The Centenary Congress of the Dental School

USJ Beirut
May-June 2023
Dental Care in the Network Age
Dentaverse
The 26th Jordanian International Dental Conference
May 2023
The Centenary Congress of the Dental School
USJ Beirut
May-June 2023
• No need to be shaken – you define the timing of your workflow
• Efficient – save time and costs for homogenisation devices, print savely –even overnight!
• Reproducible – product properties are reliably achieved, again and again
For more information please contact VOCO’s Business Development in Middle East/Northern Africa, Mohamad El Fil (+961-3-805758 / m.elfil@voco.com)
• Unbeatably durable: Fully withstands masticatory forces, excellent physical properties1
• Unbeatably simple:
Universal shade with chameleon effect, 4 mm bulk fill
• Unbeatably quick: Exposure time of only 10 seconds (x-tra fil), applied in one layer – only 35 seconds total working time (Futurabond M+)
For more information please contact VOCO‘s Business Development in Middle East/Northern Africa, Mohamad El Fil (+961-3-805758 / m.elfil@voco.com).
Based on the close and fruitful cooperation with dental institutes and practicing dentists since the 1940s, we have a uniquely broad portfolio of specially developed, innovative toothpastes, gels, sprays, mouthwashes and mouth baths. These products, which are marketed under the brands Tebodont®, Emofluor®, Emoform®, Depurdent® and Emofresh® are sold exclusively in pharmacies in Switzerland and in more than 40 other countries outside Switzerland, their various innovative formulations and compositions offer excellent solutions for daily dental care, addressing specific needs and problems (e.g. caries prevention, sensitive teeth, gum problems) and general oral health.
With the REDESIGN we have clarified the positioning of the oral care products: every toothpaste and every mouthwash now has a clear application area. At the same time, our new packaging is "digitalized": each product has a QR code that allows detailed information to be downloaded directly to the mobile phone. The redesign of the products should make the Wild brand tangible and perceptible.
• WILD will be used as umbrella brand on all products, which results in an easier promotion among the whole product range
• Same design for all brands leads to recognition and synergy effects across product range
• Clear unique main indication on the packaging avoids confusion among dental profession, pharmacists and end consumers due to overlapping benefits
• New design underscores clinical benefits and professionalism of the products which leads to cross-brand and cross-portfolio products awareness and helps to create trust among the dental profession, pharmacists and end consumers
• Unifying of the packaging system - all toothpastes in the same size and shape of tubes, all mouthwashes in the same size and packaging - leads to a uniform, eye-catching and space-saving shelf-impact
• Product portfolio becomes fresh, easy to recommend and attractive for the POS
Volume XXX, Number III, 2023
EDITORIAL TEAM
Alfred Naaman, Nada Naaman, Khalil Aleisa, Jihad Fakhoury, Dona Raad, Antoine Saadé, Lina Chamseddine, Tarek Kotob, Mohammed Rifai, Bilal Koleilat, Mohammad H. Al-Jammaz
COORDINATOR
ART DEPARTMENT
SUBSCRIPTION
ADVERTISING
PHOTOGRAPHY TRANSLATION DIRECTOR ISSN
Suha Nader
Marc Salloum
Micheline Assaf, Nariman Nehmeh
Josiane Younes
Albert Saykali
Gisèle Wakim
Tony Dib 1026-261X
DENTAL NEWS IS A QUARTERLY MAGAZINE DISTRIBUTED MAINLY IN THE MIDDLE EAST & NORTH AFRICA IN COLLABORATION WITH THE COUNCIL OF DENTAL SOCIETIES FOR THE GCC.
Statements and opinions expressed in the articles and communications herein are those of the author(s) and not necessarily those of the Editor(s) or publisher. No part of this magazine may be reproduced in any form, either electronic or mechanical, without the express written permission of the publisher.
DENTAL NEWS – Sami Solh Ave., G. Younis Bldg.
POB: 116-5515 Beirut, Lebanon.
Tel: 961-3-30 30 48
Fax: 961-1-38 46 57
Email: info@dentalnews.com
Website: www.dentalnews.com
www.facebook.com/dentalnews1
www.instagram.com/dentalnews
twitter.com/dentalnews
This magazine is printed on FSC – certified paper.
WWW.DENTALNEWS.COM
September 6 – 8, 2023
Intercontinental Citystars | Cairo, EGYPT www.edsic.org
BIDM 2023
September 21 – 23, 2023
Conrad Hotel | Sheikh Zayed Road, Dubai, UAE www.totalcoreacademy.ae
Digital Dentistry Society 2023
October 5 – 7, 2023
Seaside Arena | Beirut, LEBANON www.lda.org.lb
October 12 – 14, 2023
Hyatt Regency | Casablanca, MOROCCO www.congress.digital-dentistry.org
36th CAPP International Dental ConfEx
October 18 – 20, 2023
Atakent Expo | Almaty, KAZAKHSTAN www.cadex.kz
SIDC 2024
October 27 – 28, 2023
Madinat Jumeirah, Dubai, UAE www.cappmea.com
AEEDC 2024,
January 18 – 20, 2024
Riyadh International Convention & Exhibition Center | Riyadh, KSA https://sidc.org.sa
February 6 – 8, 2024
World Trade Center | Dubai, U.A.E. www.aeedc.com
EFP publishes guideline on prevention and treatment of peri-implant diseases
A-dec 11
Acteon 21
Belmont 9
DMP 1
Directa 29
DURR 15
FKG 35
HS Ortho 13
Henry Schein 17
NSK C2
MANI 37
Promedica 23
Rolence 25
Scheu 20
Shining 3D 27
SDI Pola 39
Septodont C4
ULTRADENT 19
VOCO VPrint C3
VOCO Admira Fusion 2
WILD Pharma 3-4-5
32 The 26th Jordanian International Dental Conference
May 10-12, 2023 - JORDAN
46 58
The Centenary Congress of the Dental School of the Saint Joseph University in Beirut
May 31 - June 3, 2023 BEIRUT
12th AIO International Congress
22th Sardinian Meeting
June 8-10, 2023 - Sardinia - Italy
The EFP (European Federation of Periodontology; www.efp.org) has announced a new guideline aimed at helping oral health professionals around the world to better prevent and treat peri-implant diseases among their patients. Based on the latest scientific evidence, this guideline offers a set of recommendations to maintain the health of peri-implant tissues and to effectively manage peri-implant diseases. Peri-implant diseases, although less familiar to the public than gingivitis and periodontitis, which affect the gums surrounding natural teeth, pose a significant health concern due to their high prevalence and associated consequences. These diseases impact both the mucosa and the supporting bone around dental implants, and can lead to costly outcomes, including implant and implant-supported prothesis loss.
This S3-level clinical practice guideline, the highest according to scientific standards, is the outcome of Perio Workshop 2022, a meeting of
leading experts and stakeholders organised by the EFP last November. After months of work, including a rigorous synthesis of evidence in 13 specially commissioned systematic reviews, and a comprehensive consensus process, the paper “Prevention and treatment of peri-implant diseases - the EFP S3-level clinical practice guideline”, authored by Prof David Herrera et al., was published in the EFP-edited Journal of Clinical Periodontology (JCP).
Prevention of peri-implant diseases should start as soon as dental implants are initially planned, states the guideline, defining those interventions within “primordial” prevention. Preventive interventions are also recommended when implants are surgically placed, or prosthetically loaded. Once implants are in function, the patient should follow a supportive peri-implant care programme, including periodic assessments of the peri-implant tissue health and oral hygiene instructions. The popular assumption
that maintaining hygiene at dental implants is somehow less demanding than around teeth is wrong - in fact the opposite is true. The good news is that early detection of peri-implant diseases makes treatment easier, faster and more prone to success.
This guideline follows two similar S3-level clinical practice guidelines the EFP has produced in recent years for a modern, evidence-based management of periodontitis, developed in accordance with the 2018-updated classification of gum diseases, These new-generation guidelines are based on the conclusions of Perio Workshop 2019 on the treatment of stages I-III periodontitis, and Perio Workshop 2021 on the treatment of stage IV periodontitis, and were published in 2020 and 2022, respectively.
!Peri-implant diseases are highly prevalent inflammatory conditions and managing them can be quite challenging,” warns Prof David Herrera, the paper’s leading author. “Our guideline provides oral healthcare professionals with advice for effective management of periimplant diseases. We authors are really proud to present a pioneering guideline informing clinical practices, health systems, policymakers, patients, and the general public, on the most effective modalities available to be implemented during the planning, execution and long-term follow-up of tooth replacement with dental implants.”
“Following the recommendations will facilitate a consistent, interdisciplinary, and evidencebased approach to the prevention and treatment of peri-implant diseases among all dental professionals,” explains the paper’s co-
author Prof Moritz Kebschull”; “The guideline identifies specific interventions demonstrated to be useful, structures them in needs-based care pathways, and examines the current level of scientific support for a variety of widely employed approaches and techniques.”
Understanding peri-implant mucositis and periimplantitis
There are two peri-implant diseases: peri-implant mucositis and peri-implantitis. Peri-implant mucositis refers to a treatable inflammatory lesion affecting the mucosa around the implant. It is primarily caused by accumulation of a periimplant plaque biofilm, but smoking, diabetes and radiation therapy are considered as risk factors.
If left untreated, peri-implant mucositis may progress into peri-implantitis, a more serious peri-implant biofilm-associated pathological condition affecting not only the peri- implant mucosa but also causing a progressive loss of supporting bone. Its main risk factors are history of periodontitis, poor oral hygiene, and lack of supportive peri-implant care.
Peri-implant mucositis is sometimes assimilated to gingivitis - and the same applies to periimplantitis and periodontitis. However, compared to periodontal tissues, peri- implant tissues are less efficient in preserving tissue health and controlling the bacterial challenge which is always present around both teeth and dental implants. Thus, peri-implant diseases are more prevalent, develop with an earlier onset, and progress faster, when compared with periodontal diseases.
smilesbydhruvi@gmail.com
This article highlights the Principles of Smile Design that govern the age of a person. We, as esthetic dentists, can incorporate these principles and create a youthful and ageless smile for our patients irrespective of their age. A case report has been presented to show how these principles influenced the outcome for a senior patient & boosted her self-confidence.
1. SHADE
In aged patients, as the enamel becomes thinner, the hue of the dentine becomes more distinct, and the value decreases (1). In order to give a youthful appearance, we must select brighter hues that will increase
Age-related changes of the dentition are the main challenge of Modern Dentistry which is faced with a population that is getting older and keeping more of its natural teeth. Be it a Diastema Closure or a Full Mouth Rehabilitation, we can give our senior patients a youthful smile by incorporating certain specific Principles of Smile Design in our treatment.
Let us see these principles in detail one by one.
the value of the Indirect or Direct Restoration. In addition to this Inoffice & home whitening procedures can be used to brighten natural teeth & give a youthful appearance.
2. SURFACE TEXTURE & THICKNESS OR FULLNESS Aged teeth have a smooth texture owing to the erosion of the enamel over a period of time that give them a dull & dark appearance. Excessive wear of the incisal area contributes to loss of anterior guidance & thinning of the enamel. Young teeth are
characterised by full thickness of the facial enamel that contribute to their esthetic & biomechanical endeavour.
The marked surface topography on the facial surface of young teeth gives it a bright, life-like appearance due to more reflection of light. (1)
3. INCISAL EDGE POSITION Aged dentitions present flat worn down incisal edges often showing an inverted curve smile. The position of the incisal edge is an important determinant to restore a youthful appearance in patients.
- In a young dentition the Incisors display gull shaped outline. The incisal edges of the lateral incisors lie 0.5 to 1.5 mm above the straight line joining the most incisal point on the central incisors & canines.(1)
- When increasing the length of the incisors, principles of phonetics must be followed with M, E, F, V, S sounds to determine the exact position of the incisal edge. The incisal edges must lie on the wet dry line on the vermillion of the lower lip during F & V sounds.
- The incisal edge outline should follow the curvature of the lower lip
4. INCISAL TRANSLUCENCY Translucency is the appearance between complete opacity like ivory to complete transparency like glass. In aged adults, incisal edges get worn down due to daily functions like brushing, eating etc. Thus, the inner
opaque & highly chromatic dentin becomes visible. Teeth of young adults show incisal edges having well-defined characteristics due to translucency and transparency. This is also called the Incisal halo effect.
Natural fibers from certified forestry
Efficient and environmentally friendly production process
It’s so easy to bring sustainability into your practice hygiene. The new disinfection wipes FD 350 green and the dry non-woven wipes FD multi wipes green and FD multi wipes compact green are made from plastic-free natural fibers and are produced in an environmentally friendly way. Yet, they convince with more surface efficiency, new wiping quality and disinfect as reliable as you are used to from DÜRR DENTAL. Environmentally conscious into the future. More at www.duerrdental.com
Any questions? Please contact:
Dürr Dental Middle East, Phone: +968 7194 6652, Mail: middle.east@duerrdental.com
5. WELL-DEFINED INCISAL EMBRASURES In an aged or worn dentition caused by incisal loss of length, the incisal embrasures become smaller or may even disappear. To create a youthful smile these teeth have to be lengthened & the embrasures need to be recreated. The incisal embrasure between the central incisors are the
smallest in size & the sharpest in shape. The incisal embrasure between the Centrals & the laterals are relatively larger with a wider angle. The largest incisal embrasure lies between the lateral & the canine.
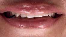
CASE REPORT:
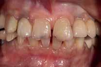
A 72-year old lady visited our clinic complaining of thinned down & discoloured central incisors .She wanted to restore her two central incisors back to its full length & thickness. On examination her smile had a flat reverse curve due to incisal
edge loss. The Central Incisors had thinned down incisal edges, the left central incisor had a discoloured class 3 filling, and the inner chromatic dentin was stained palatally giving the tooth a brownish appearance.
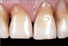
TREATMENT PLAN:
1. Removal & replacement of the old composite restoration in 21.
2. Restoring the thinned enamel & incisal edges in 11, 21 with LiDi laminates of low translucency to match the adjacent PFM restorations
PROCEDURE:.
A digital mock-up was done & shown to the patient using DTS Pro software (Fig8.1) to help her visualise the post-op result in a better way. The same results were transferred in her mouth with the help of a wax mock-up(Fig8.2,8.3,8.4) & the incisal edge position was reconfirmed with the help of phonetics, videos & photos.
0.5 mm depth cuts were made through the temporaries for a conservative prep (Fig9.1), the old Cl3 was replaced & immediate dentin sealing was also carried out at this stage. The prep was modified such that the Cl3 was included in it. This ensures that there is no marginal leakage
& discolouration around the veneer in future. Impressions were made using A silicone putty & light-body with a single step. Both Upper, Lower impressions & an Alu wax bite was sent to the lab and the patient was temporised using the same putty index.
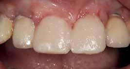
Rubber dam isolation was carried out. The veneers were cleaned thoroughly & stabilised using a putty bed. This was followed by etching the intaglio surface of the veneer with 9%HF for 10-15 secs followed by rinsing & air drying. This was followed by applying a coat of the silane coupling agent.
As the prosthesis was now ready for bonding the intraoral steps for bonding were carried out. 37% phosphoric acid was applied to the tooth surfaces of the central incisors for 20 secs. followed by rinsing thoroughly & the surface was air dried. Universal bonding agent (Single bond universal 3M) was applied & air dried to a thin uniform layer.
The key philosophies of ACTEON
Being a human centric organization focused on the needs of patients and care providers.
Providing tailored workflow solutions that maximize the total effectiveness, efficiency, and economics of achieving desired clinical outcomes.
Providing innovative and integrated healthcare solutions that address the continuous healthcare needs over patients’ lifetimes.
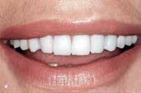
CONCLUSION:
Esthetic dentistry has the potential to contribute greatly in improving the oral health & quality of life of older adults. The desire to look good & feel healthy is not limited by age. (3) The new techniques, materials and procedures that have provided an esthetic revolution in dentistry will provide older adults with improved quality of life, greater self-esteem & a lifetime of oral function. (3) After all an esthetic smile is an asset at any age!
1- Goldstein- “Pincus Principles”-Esthetics pg. 123-132
2- Fundamentals of Esthetics -Claude Refenautch “Structural Esthetic Rules” pg. 104-213
3- Galip Gurel: Smile design -Science & Art of Porcelain Veneer Laminates pgs. 57-109
4- Jordi Manuata, Anna Salat, Walter Devoto, Angelo Putignano: “Characterisation”: Layers2-pg. 364-401
5- Pascal Magne “Understanding the intact tooth & biommimetic principle” -Bonded Porcelain Restorations in the Anterior Dentition pg. 23-56 & “Natural oral esthetics “-Bonded Porcelain Restorations in the Anterior Dentition-pg. 57-98
Ankit Shah, Braid Health CEO Modern technology concepts are finally entering Dentistry and reshaping the way we think, approach, and treat the dental field.
In today’s digital age, where advanced technology is expected to provide a consumer-level experience in every aspect of life, there’s one area that sorely needs it – oral health.
As we enter an era driven by technology and convenience, the dental industry is striving to keep pace. Although slow to adopt new technologies in the past, it’s crucial to modernize the way we deliver dental care.
Dental providers, both independent and those affiliated with dental support organizations (DSOs), are constantly seeking ways to improve efficiency, boost patient case acceptance rates, and enhance patient outcomes. To achieve this, they need modern tools to simplify daily tasks. This includes collaborating with other providers, sharing patient information, and streamlining standards and processes.”
As the demand for high-quality dental care and patient satisfaction continues to grow, dental practices are feeling the pressure to adopt modern technological solutions that can meet these expectations.
In the world of dentistry, there have been incredible advancements with the transition from analog to digital tools. Yet, despite the vast array of systems and technologies, the issue of interoperability between these systems remains unresolved, posing challenges for sharing patient data and ensuring seamless collaboration among dental practitioners.
Dental providers require a comprehensive software management system capable of handling all aspects of their practice, from diagnostic imaging to patient data management and record-keeping. However, dental practices and DSOs have faced ongoing challenges in managing their data, as they have been using disparate sensors, clinical tools, and software packages that do not communicate effectively across different platforms. As a result, their workflow has become time-consuming and inefficient.
Many software systems currently available in the market require dental professionals to toggle between different applications for different functions within the practice. This causes a disjointed way of operating that not only results in longer diagnosis and treatment times
but also contributes to a fragmented way of delivering care.
Advancements in digital software programs and technologies bring promising news to the dental industry. With the emergence of new tools like 3D scanners, intraoral cameras, and digital radiography systems, it is now possible to integrate them into a single centralized platform. Cloud-based systems, in particular, offer dental providers the opportunity to expand their practice, accommodate more patients, and provide real-time diagnostic interpretation.
This convenient access to patient information in the cloud leads to more precise diagnoses, improved collaboration among providers, and enhanced patient experiences.
Patients are becoming more aware and informed about their oral health. With access to vast amounts of information online, patients are now able to research their symptoms, understand the various treatment options available, and make informed decisions about their dental needs. This change has put dental providers under significant pressure to provide clear and accurate diagnoses and comprehensive treatment plans that address each patient’s unique needs.
As a result, the dental industry has seen a growing demand for more effective diagnostic tools and treatment techniques that can provide patients with the best possible outcomes. Dental providers must adapt to these changes and remain up-to-date with the latest developments in the industry to simplify how they engage with their patients and other providers.
Sharing diagnostic details with other healthcare providers in real time is crucial for providing efficient and high-quality patient care in today’s fast-paced world. However, it can be burdensome for healthcare providers without modern technology to facilitate this type of collaborative care. The absence of such technology can result in delayed diagnoses, miscommunications, and missed opportunities for improving patient outcomes.
In contrast, modern technology can streamline communication, enhance collaboration, and provide a platform for providers to share diagnostic details quickly and efficiently.
Real-time data sharing and collaboration have revolutionized modern dental technology, making it easier for dental professionals to access patient data and engage with each other.
Collaboration is critical in the dental industry, given the need to integrate various technologies and imaging tools. In the past, dental practices and DSOs have struggled with the siloed nature of their data management systems. However, modern technology has integrated various technologies into a single cohesive solution that can be accessed from the cloud on any device.
For instance, digital patient records can now be accessed from a central dashboard, allowing dentists to view patient history, x-ray images, treatment plans, and progress reports from anywhere, at any time.
Real-time data sharing offers a much faster process than traditional methods, such as calling or emailing images and waiting for feedback. With features such as integrated messaging tools, dental professionals can share patient data and collaborate seamlessly, improving the accuracy of diagnoses and proposing more productive treatment plans.
This improved accessibility and seamless integration of technologies and imaging tools has enhanced collaboration between dental professionals, enabling them to provide more expedited patient care.
One of the significant advantages of modern technology in the dental space is that it is designed to work seamlessly in the background to help scale the business. This means that once staff members have set up the technology correctly, they can rely on it to handle many routine administrative tasks automatically. As a result, staff and providers can spend less time on manual tasks and more time to devote to diagnosis, treatment planning, and patient education.
Cloud-based systems, for example, can handle the additional workload and data that comes with increased patient volume. They are an efficient way to store, process, and share patient data, helping to ensure the dental practice is prepared for growth and equipped to deliver the best possible care at scale.
With the power of modern technology, dental practices can position themselves for success in today’s fast-paced healthcare landscape, staying ahead of the curve and providing higher-quality care and, ultimately, better outcomes for all.
After a tooth extraction, approximately 30% of the alveolar ridge is lost because of resorption¹. Using a membrane improves the amount, quality, and contour of the desired bone.
● Thanks to years of research leading to a patented technology, R.T.R.+ Membrane is the first resorbable membrane composed of 100% vegetalbased polymer, making it effective and easy to handle. It is the perfect addition to the bone graft R.T.R.+ for a successful, synthetic procedure.
● With a resorption time of 4 to 6 months and a bilayer structure, R.T.R.+ Membrane is highly effective within an appropriate time frame for bone regeneration.
● R.T.R.+ Membrane has a great resistance to exposure. In case of suture rupture, it can be left in place to guide tissues to heal properly.
● R.T.R.+ Membrane is compatible with every bone graft and available in 4 sizes.
1 Hsi Kuei Lin, Yu Hwa Pan, Eisner Salamanca, Yu Te Lin 5 and Wei Jen Chang. Int. J. Environ. Res. Public Health 2019, 16, 4616; Prevention of Bone Resorption by HA/β-TCP + Collagen Composite after Tooth Extraction: A Case Series
Ultimate Interproximal Solution - ContacEZ dental strips for restorative, orthodontic, and laboratory needs. The innovative, single-handed design of ContacEZ Dental Strips offers optimal tactile control and grants easy access to tight anterior and posterior spaces. Flexible strips curve and conform to the natural contours of the teeth, while the central opening offers better visual perception and access for tools. This user and patient-friendly design eliminates gagging and prevents soft tissue irritation.
ContacEZ Restorative Strips System are designed to achieve ideal proximal contacts and complete marginal sealing as well as removing subgingival overhangs and more.
The ContacEZ IPR strips makes it easy to perform safe and stress-free interproximal reduction in connection with orthodontic treatment.
• Optimal tactile control – prevent cutting lips and gums
• Built-in flexibility conforms to natural contours
• Ergonomic design eliminates hand fatigue
• Better visibility with central opening
• Autoclavable
For more information, scan the QR-code on your phone
For further information please contact your local dealer or Annelie Johansson, Area Sales Manager – Product specialist TrollDental x-ray, Finland, Baltic, East Europe, Greece, Turkey, MENA annelie.johansson@directadental.com www.directadental.com
Beirut, June 2023 - Dentaverse celebrates the 100th year anniversary of the University Saint Joseph of Beirut, setting the stage for a fruitful collaboration between academia and industry. In a move that would seem inevitable in hindsight, Dentaverse, a leading innovator in dental technology, has forged a strategic alliance with the prestigious University Saint Joseph of Beirut (USJ). This landmark collaboration not only signifies an important milestone for both Dentaverse and USJ, but is also a crucial step towards bridging the gap between academia and industry. The partnership aims to create a favorable environment for collaboration, facilitating the exchange of ideas and expertise between Dentaverse and the accomplished researchers and scholars of USJ.
Dr. Joy Elian ElHayek, Instructor for Digital Dentistry & Technology, Department of Dental Medicine, was instrumental in making this partnership happen. She emerged as a great host, with a progressive mindset toward the use of technology such as virtual reality (VR), artificial intelligence (AI), and blockchain in dental medicine and education. Dr. Joy’s enthusiasm for the potential of these technologies aligns perfectly with the innovative approach of Dentaverse, making her an invaluable asset in fostering collaboration between the two entities. As she stated throughout the event “We are not followers, we are pioneers”, stressing the importance of being an early adopter of web3 technologies and their integration with dental education.
At the Centennial celebration of the university, a special VR platform created by Dentaverse exclusively for the guests visiting the event was unveiled. This was a first-of-its-kind showcase in the MENA region, affirming USJ’s reputation as a pioneering institution willing to embrace the latest technology.
The platform is publicly accessible through the following link: USJ University Campus (usj. dentaverse.io). It consists of a general welcome hall and two dedicated rooms: Phantom Room and Virtual Clinic.
The Phantom Room is designed to be used for virtual training purposes, while virtual clinics make virtual patient consultations possible. Here, simulation units and heads from leading dental manufacturers such as Frasaco and Saratoga were effectively presented. So students can now intercommunicate and analyze panoramic X-ray scans together, practicing the diagnosis and treatment planning stage of patient cases. The guests who attended the event showed a keen curiosity and willingness to embrace VR and Blockchain technology in dentistry. They eagerly explored the special Dentaverse x USJ virtual platform and provided invaluable feedback, so that future developments can be attuned to the needs and expectations of dental researchers, professionals, and students.
In addition, USJ organized exclusive VIP sessions with groups of USJ staff members, Arab deans and ambassadors, and international key opinion leaders such as representatives of Sapienza University of Italy in attendance.
Dentaverse Founder, Martin Ravets and Dr Alwaleed Albadr, Dentaverse Chief MENA Officer, presented the USJ Campus Platform, talked about the transformative potential of these technologies in education, and road to their adoption in universities. Titled “A travel into Dentaverse: Oneway ticket to the virtual faculty of dental medicine”, these sessions further led to the exchange of ideas and knowledge, fostering collaboration between all stakeholders.
Dentistry is a very practical field involving complex structures of the jaw and tooth, yet to this day most explanations are illustrated in books, in a 2D format. What if we could lecture about bone structure in the virtual auditorium and let
the professor augment a jaw model in front of students’ eyes, increasing information retention and interactivity? What if even after lectures are finished, could the students meet on a 3D university campus and continue their discussion and debates in a virtual clinic, analyzing and learning the cases in their own time from the comfort of their home? Such topics regarding the use of technology in dental education were discussed.
Another highlight of the centennial celebration event was the livestream of a highly anticipated lecture by renowned dental expert, Dr. Hani Tohme on the USJ conference 3D platform. This allowed a wider audience to engage with the discussions and participate virtually, amplifying the impact of the Dentaverse X USJ partnership. The lecture titled “How Technology Is Changing the Future of Dentistry: Exploring Dentaverse and AI” introduced the audience to the tools and innovations that will streamline and improve dental procedures and patient outcomes in the near future.
The 100th-year grand celebrations came to an end with a Gala Dinner at the beautiful Phoenicia Intercontinental Hotel. The Dean of the University, Dr. Nada Farhat invited esteemed members of the faculty and community to celebrate this historical moment.
The Dentaverse X USJ partnership represents only the beginning of a long and fruitful collaboration. Both parties have expressed their enthusiasm for future joint initiatives and projects that will undoubtedly shape the future of dentistry and redefine the boundaries of what is possible in dental technology. With Dentaverse’s commitment to innovation and USJ’s dedication to academic excellence, the partnership sets the stage for unprecedented opportunities, propelling the dental industry into a new era of progress and transformation.
The peri-implant bone level was found to be stable at the level of the first thread after 9 years of loading (Fig 3).
Prosthetic failure of the maxillary left premolars and first molar occurred in October 1999. The fixed partial prosthesis became loose due to recurrent decay and poor crown-to-root ratio. It was decided to extract the remaining teeth and convert to an implant-supported fixed restoration. Three Brånemark implants (Nobel Biocare, Göteborg, Sweden) were placed in the maxillary left quadrant, and the patient was referred to her dentist for the placement of a temporary removable prosthesis to restore esthetics and function while implant osseointegration was achieved. The dentist removed the maxillary right implant-supported partial prosthesis and placed an overdenture. The patient was seen in May 2000 for abutment connection on the maxillary left implants. Periapical radiographs were obtained to assess the osseointegration. Severe bone loss was observed on the implants in the maxillary right first premolar site and the maxillary right first molar site (Figs 4 to 6).
The removable prosthesis was found to be very unstable; it was rocking around the maxillary right implants and had been doing so for 6 months, according to the patient. In collaboration with the dentist, all 6 implants were splinted, and a properly fitted removable prosthesis was fabricated. Oral hygiene was reinforced to improve the patient’s home care. The peri-implant condition was re-evaluated radiographically every 3 months. The bone lesions started to heal within 3 months after elimination of the traumatic condition. At 6
Smooth to use, minimally invasive. Why choose anything else?
Company name: MANI, INC.
Country of origin: Japan
Website: www.mani.co.jp/en
MANI, INC. is a manufacturer of medical devices and dental instruments. Ever since we started manufacturing surgical needles in 1956, we have contributed to society as a medical device manufacturer supplying surgical and dental instruments. Our products, which are safe and high-quality medical devices that satisfy the needs of doctors and patients, have also passed the strict standards of countries overseas.
BAHRAIN
DENTAL WORLD & MEDICAL SUPPLIES
Manama
Phone: +97317896322
dwms.bh@gmail.com
EGYPT
GENERAL EGYPTIAN TRADING
Giza
Phone: +2025729368
getegypt@yahoo.com
IRAN
DOUSTKAM CO, INC.
Tehran Phone: +982177534652 doustkamco@gmail.com
IRAQ
ZUHAIR BUREAU
Baghdad
Phone : +96407903760781 zuhair@zuhairbureau.iq
JORDAN
MATEST COMPANY
Amman
Phone: +96265690807 matest1@orange.jo
KUWAIT
We employ more than 3,000 people worldwide and use our own channels of distribution to deliver products to more than 120 countries. MANI offers a wide range of dental instruments, including burs, sutures, root canal instruments, polishing instruments, posts and dental accessories.
GLOBALMED TECHNOLOGY
Kuwait
Phone: +96522431647 ab@globalmedtechnology.org
LEBANON
DIETI PHARM DENTAL PRODUCTS
Beirut
Phone: +9611500991 dietipha@inco.com.lb
LIBYA
AL BYAN CENTER
Tripoli
Phone: +218213333021 albyan_almotagaded@yahoo.com
MOROCCO
BEST MADE
Casablanca Phone: +212522834482 best.made@yahoo.fr
OMAN
SALA MEDICAL COMPLEX
Muscat Phone: +96824485159 salamedical@yahoo.com
PALESTINE
AL MANARA
Ramallah Phone: +97222953718
kshatara@p-ol.com
QATAR
SHARQ MEDICAL SUPPLIES
Doha
Phone: +97444566100 samer@sharq.qa
SAUDI ARABIA
AL RAZI MEDICAL SUPPLIES
Jeddah
Phone: +966126520132 alrazimed@yahoo.com
SYRIA
SALLOUM DENTAL CO
Damascus Phone: +963112248772 psalloum@scs-net.org
UNITED ARAB EMIRATES
SAWHNEY TRADING LLC
Dubai
Phone: +97143597756 sawbros@eim.ae
YEMEN
YEMEN STORES
Sana’a Phone: +9671444622 s.radman@yemenstores.com
drs bassam alZohbi, antoine khoUry, ZUhair mheidat, othman aJloUni, tony dib l to r dr and mrs firas oweis, dr tony dib, dr abeer arnaki, mrs. Josiane dib meridol booth drs hasan abU maiZar, michele khabba mani booth nsk boothHonorables invités, Mesdames et Messieurs, je vous souhaite chaleureusement la bienvenue à la célébration de notre centenaire. La faculté de médecine dentaire a été fondée par les jésuites en 1920. Aujourd’hui, nous commémorons un siècle d’excellence académique et de contributions significatives à la santé bucco-dentaire. Nous sommes fiers de notre statut unique en tant que faculté francophone au Moyen-Orient, tout en étant trilingue. Afin de valoriser la diversité linguistique et culturelle de notre institution et de faciliter la communication avec nos invités arabes et internationaux majoritairement anglophones, je poursuivrai mon discours en anglais. Honored guests, colleagues, and friends, it is with great honor and pride that I stand in front of you today to celebrate the centenary of the Faculty of Dental Medicine at Saint Joseph University. This occasion is an excellent opportunity to remember the past, reflect on our journey, and envision the future of our institution. Since 1920, we have trained generations of dental professionals who have gone on to serve their communities, advance the field of dentistry, and improve the health and well-being of countless individuals.
From 1975 until 1990, the Lebanese Civil War devastated the country, and the faculty had to move several times to continue functioning. The upcoming film of the centenary will vividly portray this period of our faculty’s history. This difficult period was a trial for all of us, but it also made our determination and unity Stronger. Today, we also celebrate our 25 years of the Arab Dental Faculties Association, with our faculty being selected as the permanent headquarters and its dean appointed as the permanent SecretaryGeneral. Furthermore, I would like to extend my greetings to the 20 Arab deans who have traveled to join us in celebrating our centenary.
Since 2019, we have been faced with extraordinary challenges and difficulties, starting with the 3rd largest explosion in modern time. Followed by the most severe pandemic crisis in modern history, coupled with the worst economic crisis in Lebanon’s history. However, we were determined to persevere and find a way to succeed.
The question was: how can we overcome the hardest of challenges and continue to move forward?
The answer was simple: through our unity, unwavering dedication and commitment to excellence.
An exceptional economic strategy was adopted, backed by our international collaborations and donations from alumni, partners, and friends, which helped overcome the economic obstacles and allowed us to improve the conditions of our healthcare center by “outfitting it” with cuttingedge digital technology and to offer high-level training programs.
Recently, we have introduced a cutting-edge 4K system in our center, which enables highresolution, real-time live transmission, significantly improving the quality of our clinic program.
I’m also happy to announce that to maintain our position as a leader, we have evolved our digital unit into a new department for digital and virtual dentistry and artificial intelligence.
Additionally, we are currently working on setting up a platform with AI tools for the faculty in the Metaverse. You will have the opportunity to visit the metaverse during this congress. During these 100 years we also recognize that we cannot achieve our goals alone. We must work together, across borders and disciplines, to address the challenges facing our profession and to take advantage of the opportunities that lie ahead. I would like to thank the 28 speakers who have traveled from all over the world to share their knowledge.
How can we thank those who have contributed to making our faculty a place of excellence and well-known around the world?
How can we express our gratitude to the directors, the 4 deans : Aramouni, Hokayem, Naaman and Makhzoumi, all our teachers and staff members, all our alumni, and friends who have supported our institution throughout these past hundred years?
The answer is simple: we can show our gratitude and appreciation by continuing to uphold the tradition of excellence and dedication that has always been the hallmark of our faculty.
To envision the future of our institution we should ask:
How can we better prepare future generations of oral health professionals in the rapidly evolving era of artificial intelligence, a field that may seem daunting and requires extra effort to master? And how can we continue to uphold our faculty’s reputation in this international context of our profession that is emerging every day?
The answer is also simple: we need to let the future speak for itself; Let us listen to the voices of the future students.
Dear students of the future, we promise to meet and exceed your expectations.
We will prepare you to excel in this rapidly evolving landscape, and ensure that you will be equipped with the necessary knowledge and skills to harness the power of Artificial intelligence in your practice. We have a duty to make this technology available for education and research. At the same time, it is very important not to lose sight of the human element of dentistry. The relationships between dentist and patient are built on trust, empathy and understanding, and these values cannot be replicated by machines. As we incorporate new technologies into our practice, we must also prioritize the development of these human skills in our students. By embracing innovation while staying true to our core values, we can ensure that the future of our faculty is bright and that our impact on the field of dentistry continues to be profound.
In the end how can we describe the history of our faculty in one word? Would it be Resilience? Excellence? Determination? I would say it’s all of that and much more.
I am delighted to announce that our faculty is embarking on its second “century of excellence” with a resolute purpose: to maintain its leadership in our field while staying true to our mission and our Jesuit values for the next hundred year and beyond.
Thank you all, Happy Centenary!
Trophy Distribution
JUNE 8-10, 2023
Chia (Cagliari) - Sardinia - Italy
THE 12TH AIO INTERNATIONAL CONGRESS IN CHIA, SARDEGNA: A SHINING SUCCESS BEYOND ALL EXPECTATIONS
The numbers are in for the 12th International Congress of the AIO/Italian Dental Association. 1000 participants from over 40 countries! (680 healthcare professionals, 80 speakers, 100 representatives from the 40 sponsor companies and national and international fellow associations as well as over 140 accompanying guests and staff).
Chia, the beautiful 5-star, exclusive, top vacation destination in the heart of the Mediterranean Sea, was once again the perfect location to host the international congress, offering participants an excellent and the unique opportunity to network, exchange experiences and ideas with friends and colleagues from around the world.
KEYNOTE SPEAKER DR GALİP GÜREL
KEYNOTE SPEAKER DR MAURO FRADEANI
The Opening Ceremony was presented by Enrico Lai, (Cultural secretary of AIO Cagliari and coordinator of the AIO International Congress since 2015) and chaired by Rossella Galisai (President of AIO Cagliari). Opening comments were given by Ihsane Ben Yahya, president of the FDI, World Dental Federation and Simona Dianiskova, President of the European Regional Organization of the FDI, who underlined how important it is to strive to attain “Simplicity of Excellence”. Claudia Cotca professor in American, European and Italian universities, traced a common thread linking last years International Congress dedicated to “The Gender Shift in Dentistry”, to this years congress that focused on the “The Simplicity of Excellence”.
Fabio Velotti, president of the Italian Industry Association UNIDI, underlined the importance of international events for the Italian Dental Industry as well the importance of global prevention projects such as "Oral Care Total Care", on oral cancer screening launched by the AIO.
Gerhard Seeberger, AIO National President and World Dental Federation Past President, highlighted the importance of the dentist in a program of all-around prevention inclusive of all, regardless of status or social class, affirming the philosophy of the World Health Organization dedicated to the wellbeing of all in their global effort to give everyone, everywhere an equal chance to live a healthy life.
Following, the President of the National Dental Commission Raffaele Iandolo, spoke on the recent national controversy raised by physicians who practice facial esthetics that feel that dentists should not be able to perform esthetic procedures on the face citing the short cited view that the dentist is solely “the doctor of the teeth".
Finally, the President of the Order of Physicians and Dentists of Cagliari, Emilio Montaldo, and Elisabetta Cotti, President of IFEA (World Federation of Endodontics) spoke on the importance of maintaining simplicity in dentistry and in medicine. and dentistry.
The Opening Ceremony ended with a concert held by world acclaimed violinist Anna Tifu and pianist/ composer Romeo Scaccia who delighted the audience with their amazing talents for almost an hour. As the Opening Ceremony ended, a new ceremony began! Poolside and by invitation only, the 1st Doctors’ World Gala took the spotlight! Kianor Shah, Preteender Singh and Gurien Demiraqi, representatives of the Global Summit Institute and organizers of the Doctors’ World Gala together with AIO representatives, Enrico Lai and Giancarlo Couch, presented prestigious Lifetime Achievement Awards to the 100 "Top Doctors” of 2023. A special dinner accompanied the event reserved exclusively for awardees and their families.
Rossella Galisai, President of AIO Cagliari, ended extraordinary the Congress by thanking the outstanding world class lecturers, the participants and their guests from around the world, the staff with their limitless enthusiasm and energy, the generosity of the many sponsors and the support from the numerous fellow associations in contributing to help make the 12th AIO International Congress a first class event and an enormous international success.