Dental News March 2023

Page 1

Cover all 16 VITA® classical shades with only 5 Cluster-Shades

• Universal: For highest demands in anterior and posterior regions

• Fast: 10 sec light-curing for all shades

• Excellently biocompatible: No classic monomers

• First-class: By far lowest shrinkage (1.25 % v/v)

to match them all! Take FIVE BIO C O M P A T IBIL I T Y EXC E L L E N T NO CLASSIC MONOMERS
more information please contact VOCO‘s Business Development in Middle East/Northern Africa, Mohamad El Fil (+961-3-805758 / m.elfil@voco.com). VOCO GmbH · Anton-Flettner-Straße 1-3 · 27472 Cuxhaven · Germany · Freecall 00 800 44 444 555 · www.voco.dental
For
Admira Fusion 5 –Simply faster. Simply aesthetic.
www.wild-pharma.com #wildredesign SWISS PROFESSIONAL OR AL C ARE Follow us on Social Media

Experience the new packaging design of Dr. Wild Oral Care

18 ml 25 ml 18 ml 25 ml 75 ml 400 ml 400 ml 75 ml 400 ml 250 ml Redesign Tebodont Packaging 75 ml 75 ml 75 ml 75 ml 75 ml 75 ml 75 ml 75 ml 85 ml 85 ml 85 ml 85 ml
Redesign Emoform Packaging

Based on the close and fruitful cooperation with dental institutes and practicing dentists since the 1940s, we have a uniquely broad portfolio of specially developed, innovative toothpastes, gels, sprays, mouthwashes and mouth baths. These products, which are marketed under the brands Tebodont®, Emofluor®, Emoform®, Depurdent® and Emofresh® are sold exclusively in pharmacies in Switzerland and in more than 40 other countries outside Switzerland, their various innovative formulations and compositions offer excellent solutions for daily dental care, addressing specific needs and problems (e.g. caries prevention, sensitive teeth, gum problems) and general oral health.

With the REDESIGN we have clarified the positioning of the oral care products: every toothpaste and every mouthwash now has a clear application area. At the same time, our new packaging is "digitalized": each product has a QR code that allows detailed information to be downloaded directly to the mobile phone. The redesign of the products should make the Wild brand tangible and perceptible.

• WILD will be used as umbrella brand on all products, which results in an easier promotion among the whole product range

• Same design for all brands leads to recognition and synergy effects across product range

• Clear unique main indication on the packaging avoids confusion among dental profession, pharmacists and end consumers due to overlapping benefits

• New design underscores clinical benefits and professionalism of the products which leads to cross-brand and cross-portfolio products awareness and helps to create trust among the dental profession, pharmacists and end consumers

• Unifying of the packaging system - all toothpastes in the same size and shape of tubes, all mouthwashes in the same size and packaging - leads to a uniform, eye-catching and space-saving shelf-impact

• Product portfolio becomes fresh, easy to recommend and attractive for the POS

75 ml 400 ml 50 ml 500 ml 75 ml 75 ml 75 ml 75 ml 400 ml 75 ml 75 ml 500 / 250 ml
Redesign Emofluor Packaging Redesign Depurdent Packaging
SWISS PROFESSIONAL OR AL C ARE Follow us on Social Media

Volume XXX, Number I, 2023

EDITORIAL TEAM COORDINATOR

ART DEPARTMENT

SUBSCRIPTION

ADVERTISING

PHOTOGRAPHY TRANSLATION DIRECTOR ISSN

INTERNATIONAL CALENDAR

Alfred Naaman, Nada Naaman, Khalil Aleisa, Jihad Fakhoury, Dona Raad, Antoine Saadé, Lina Chamseddine, Tarek Kotob, Mohammed Rifai, Bilal Koleilat, Mohammad H. Al-Jammaz

Suha Nader

Marc Salloum

Micheline Assaf, Nariman Nehmeh

Josiane Younes

Albert Saykali

Gisèle Wakim

Tony Dib 1026-261X

DENTAL NEWS IS A QUARTERLY MAGAZINE DISTRIBUTED MAINLY IN THE MIDDLE EAST & NORTH AFRICA IN COLLABORATION WITH THE COUNCIL OF DENTAL SOCIETIES FOR THE GCC.

Statements and opinions expressed in the articles and communications herein are those of the author(s) and not necessarily those of the Editor(s) or publisher. No part of this magazine may be reproduced in any form, either electronic or mechanical, without the express written permission of the publisher.

DENTAL NEWS – Sami Solh Ave., G. Younis Bldg.

POB: 116-5515 Beirut, Lebanon.

Tel: 961-3-30 30 48

Fax: 961-1-38 46 57

Email: info@dentalnews.com

Website: www.dentalnews.com

www.facebook.com/dentalnews1

www.instagram.com/dentalnews

twitter.com/dentalnews

This magazine is printed on FSC – certified paper.

WWW.DENTALNEWS.COM

Jordanian Int’l Dental Conference

May 10 – 12, 2023

Kempinski Hotels, Amman, JORDAN www.confjda26.com

Bone and Tissue Summit

May 11 - 14, 2023

Zabeel House Hotel Dubai, UAE www.totalcoreacademy.ae

Saint Joseph University Dental Meeting

May 31, June 1 – 3, 2023

USJ, Beirut, LEBANON www.usj.edu.lb/fmd/

AIO CHIA 2023

June 8 – 10, 2023

Chia, Cagliari, Sardegna, ITALY www.congressaio.it

EDSIC 2023

September 6 – 8, 2023

Intercontinental Citystars, Cairo, EGYPT www.edsic.org

Middle east LASER Summit

September 22 – 24, 2023

Ritz Carlton Hotel, JBR, Dubai, UAE

www.totalcoreacademy.ae

BIDM 2023

October 5 – 7, 2023

Seaside Arena, Beirut, LEBANON www.lda.org.lb

36th CAPP International Dental ConfEx

October 27 – 28, 2023

Madinat Jumeirah, Dubai, UAE www.cappmea.com

AEEDC 2024

February 6 – 8, 2024 World Trade Center, Dubai, U.A.E. www.aeedc.com

This magazine is printed on FSC – certified paper.

CONGRESSES ARTICLES

Mini screw Assisted Limited Orthodontic Tooth Movement: About 2 Cases Reports

8 26

How Clear Aligners Completely Changed the Landscape of the Orthodontic Industry

ADVERTISING INDEX

A-dec 15

Belmont 9

BIDM 64

DMP 1

Directa 13

Directa 29

Durr 21

Edsic 44

FKG 31

HS Ortho 11 Henry Schein 17

NSK C 2

MANI 57

Promedica 23

Rolence 19

Scheu 24

Shining 3D 27

34 SIDC

January 19-21, 2023 RIYADH

SDI Pola 39

Septodont C 4

Total Core Bone 30

Total Core Laser 33

ULTRADENT 25

Voco Admira Fusion 2

Voco V Print C 3

Wild 3-4-5

45 49 58 60

Egyptian Ortho Society

January 26-28, 2023, LUXOR

AEEDC

February 7-9, 2023, DUBAI

LSE

March 10-11 2023, BEIRUT

IDS

March 14-18, 2023 COLOGNE

Lyamina ,Filipp S. Sokolov, Marina N. Bychkova, Petr A.
7 Dental News Quarter II

Mini Screw Assisted Limited Orthodontic Tooth Movement: About 2 Cases Reports

Abstract:

1: 4th year dental student, faculty of Dentistry, Beirut Arab University, Beirut Lebanon

2: Assistant Professor, Department of Orthodontics, Faculty of Dentistry Lebanese University Beirut Lebanon- Private Practice limited to orthodontics, Beirut Lebanon and Dubai UAE.

Orthodontic micro-implants changed the way we treat our patients, allowing clinicians to manage more difficult cases by pushing the envelope of tooth movement. Two case reports will be discussed in this paper highlighting the importance of using miniscrews to achieve critical tooth movement without patient cooperation and with limited orthodontic apparatus.

Introduction:

In 1983 Creekmore and Eklund1 used a small vitalium bone screw to intrude maxillary incisors, in 1997 Kanomi2 reported the use of 1.2mm Titanium screw to intrude mandibular anterior teeth. Costa3, Park4, and many authors5,6,7 succeeded in using titanium miniscrews as skeletal anchorage to treat various malocclusions without the need for patient cooperation.

Miniscrews come in various sizes and shapes, depending on the site of insertion and the type of auxiliaries used to connect the screw head to the teeth or orthodontic arch wire. Small miniscrews with a diameter ranging from 1.2 to 1.8mm and a length of 6 to 8mm are inserted between the roots of teeth allowing a wide range of orthodontic tooth movement8 but not limited to , distal movement of a single or a group of teeth, anchorage reinforcement in extraction cases , skeletal anchorage for the exposure and alignment of impacted teeth, uprighting of mesially inclined molars and premolars, intrusion of over erupted molars for the purpose of future prosthetic procedure.

Aim:

The aim of this paper is to highlight the importance of mini screws in achieving predictable and successful tooth movement that would have been otherwise merely impossible or extremely difficult to address.

Case 1:

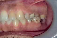
A 24-year-old female presented to the orthodontic clinic with the chief complaint of “Presence of space in the posterior mandibular right region”.

An intra- oral examination revealed the absence of the mandibular right first molar, tilting and oblique inclination of the mandibular second and third molar.

The patient had skeletal and dental class I, a normal overbite an overjet, slight mandibular anterior crowding, rotation of lower right first and second premolars, impaction of upper left and right third molars, and mandibular left third molar.

The patient recalls an extraction that was carried out during childhood but couldn’t specify exactly if it was the mandibular right first molar.

A panoramic x-ray showed the absence of the right first mandibular molar, a 45 degrees inclination of the second and third mandibular right molars, a vertical bone defect at the old extraction site, with a large composite filling on a endodontically treated mandibular left first molar.

8 Dental News Quarter II
Nadeem Koleilat 1 , Bilal Koleilat 2
10 Dental News Quarter II Mini screw Assisted Limited Orthodontic Tooth Movement: About 2 Cases Reports
Case 1
To learn more, scan the QR code to be connected with your Orthodontic Sales Specialist, or call 00.1.760.448.8600. Buy 20 sets, get 20 sets free. Limited time only. SLX 3D Clear Self-Ligating Bracket System SLX® 3D Clear Brackets © 2022 Ortho Organizers, Inc. All rights reserved. PN M2785 11/22 HenryScheinOrtho.com Mini screw Assisted Limited Orthodontic Tooth Movement: About 2 Cases Reports

Treatment Options

The patient was presented with the following options to address her chief complaint.

Option 1: Space Opening

Extraction of the mandibular right third molar, orthodontic uprighting and distal movement of the mandibular second molar to open space for a prosthetic implant with a ceramic crown replacement of the extracted mandibular first molar. This option would require shorter orthodontic treatment time, limited follow up visits at the cost of the loss of an extra tooth( the third molar) and higher fees dedicated for the implant procedure in its surgical and prosthetic stages.

Option 2: Space Closure

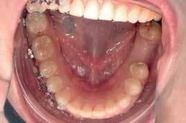
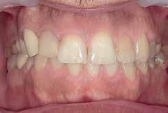
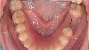
Non extraction treatment, with mesial root movement and protraction of the mandibular second and third molars in order to close the residual space, create a solid contact between the mandibular second molar and second premolar without the need for prosthetic dental implant or crown. This option would require longer orthodontic treatment time with extensive follow up visits, however no extra cost is allocated for surgical and prosthetic procedures. (Figures 1 and 2)

After thorough explanation of the pros and cons of each option the patient opted for option 2.

Treatment Progress

February 2021:

Bonding: Genius Passive self ligation ( MEM Corporation, Sweden Taiwan) with 14 NiTi (Thermal ultra) engaged. First molar bondable tube with a built in long extended hook that reached the level of the furcation to apply the force close to the center of resistance of the second mandibular molar.

12 Dental News Quarter II Mini screw Assisted Limited Orthodontic Tooth Movement: About 2 Cases Reports
Figure 1 Figure 2

®

Articulating foil

No need for forceps. The foil is pre-mounted in a sturdy plastic frame.

Super thin foil.

The foil is only 8 micron thick and inked on both sides. Available in blue or red.

No ink on your fingers. The foil is covered on both sides at the grip.

Protective strip Easily removed before use.

The only articulating foil you will ever need!

TrollFoil

takes the guesswork out of occlusal adjustments.

TrollFoil can be used under a wide variety of clinical situations including wet or dry teeth, limited opening, limited vestibular space, gaggers, and metal and non-metalic restorations. You are able to verify occlusal contacts for both arches from one tooth to an entire quadrant using the mini or the original quadrant size. The double-sided foil is only 8 microns thick, and it has no problem marking wet surfaces, dry surfaces or highly polished surfaces such as cast gold or BruxZir.

For further information please contact your local dealer or Annelie Johansson, Area Sales Manager – Product specialist TrollDental x-ray, Finland, Baltic, East Europe, Greece, Turkey, MENA annelie.johansson@directadental.com www.directadental.com

www.directadental.com
Video: TrollFoil

April 2021:

- 18 NiTi Thermal ultra

June 2021:

- 18*25 NiTi Thermal ultra

July 2021:

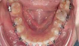
- Short head Mini-screw 1.6 diameter, 8 mm length Titanium alloy (Absoanchor®) palced between the mandibular first Premolar and canine at the junction between attached and movable mucosa in a 45 degrees inclination.

- Lower wire: 16x25 stainless steel wire

- Connecting first molar hook to the micro-implant with a chain generating about 200g of force

- To avoid irritation of the cheek when in contact with the miniscrew head, a light cure silicone material was applied to cover the chain and the mini-screw all-together (Softflow®).

For almost 8 months, during the Covid pandemic, the patient was unable to present to the clinic. The work was resumed in March 2022. It was decided then to segment the appliance, including third molar to canine. The 16x25 SS wire was replaced with 17X25 S.S in the lower arch to increase the rigidity of the wire given the short span available.

14 Dental News Quarter II Mini
Assisted Limited Orthodontic
About 2 Cases Reports
screw
Tooth Movement:
The preventive effect of glass ionomer restorations on new caries formation: A systematic review and meta-analysis The chair is so smooth; patients don’t notice they’re starting to lie flat. - Dr Christine Thomson, Vita Dental Care EXPERIENCE SUPERIOR CARE.
hydraulic motion allows quiet, gentle stops and starts. Coupled with the virtual pivot, which synchronises movement with the natural motion of the patient imperceptibly raising the toeboard for
a-dec.com/500EXPERIENCE © 2022 A-dec Inc. All rights reserved. For complete trademark information, visit a-dec.com/legal/trademarks. Contact your local A-dec Territory Manager for more: T: +971 (0) 585 93 1983 | E: nick.olive@a-dec.com
Precision
a cradling effect, the only thing your patient feels is relaxed.

June 2022:

- Patient presented to the clinic, with pain from the lower left side

- It was found out that the lower left first molar was vertically fractured and needed extraction

- Since the loss of the lower left first molar came at the later stages of the treatment and the patient didn’t want to go through another 1,5 years of orthodontic treatment to achieve space closure

- The patient decided to extract the affected molar and preserve the space for later implant placement

July 2022:

- A metallic ligature is placed from second molar to canine and a second one from third molar to mini screw

- Slight inter-proximal reduction (IPR) is performed between second molar and second premolar, to create a surface area contact and allow for further Protraction of the second and third molar.

- Debonding was done later in the session

- Fixed retainer was placed between the second molar and the second premolar to preserve the space needed for later implant placement (lower left side)

- Fixed retention was also needed on the lower right side to prevent relapse of space closure using a fixed 16x 22 SS wire bonded and contoured with flowable composite resin to the buccal side of teeth 48-47-45-44 since in adult space closure, chance of relapse is very high, this retention is kept in place for indefinite period of time.

16 Dental News Quarter II Mini screw Assisted Limited Orthodontic Tooth Movement: About 2 Cases Reports
Your solution for navigating the rapidly changing world of digital dentistry Visit us on social media: To learn more contact us: ghassan.nasser@henryschein.com

Case Discussion

Both mandibular second and third right molars were mesialized and uprighted with more root movement taking place than the crown in a 2:1 ratio. Ensuring parallelism between the roots is a necessary step for long term stability of the achieved movement, nonetheless a fixed retention was undertaken . If maxillary right third molar shows any signs of passive eruption , the patient is instructed to extract it. A vacuum formed retainer was proposed during night time but unfortunately the patient declined.

Case 2:

A 33 year old male presented to the orthodontic clinic referred by his prosthodontist . His main concern was the overeruption of maxillary right and left second molar due to bilateral loss of second and third mandibular molars that rendered the placement of prosthodontic implant and crown not possible. The patient had a 4 unit bridge, to replace missing maxillary right first and second premolar, with a root canal treatment and crown done on maxillary right lateral incisor and left second premolar. The patient’s main condition was to reduce the orthodontic system to a minimum with no visible appliances due to the nature of his work in sales.

18 Dental News Quarter II
Mini screw Assisted Limited Orthodontic Tooth Movement: About 2 Cases Reports

Treatment options

Two options were presented to the patient

Option 1

Endodontic treatment and crown preparation on both maxillary left and right molars to shorten the vertical dimensions of the crowns. This option would require extensive reduction of tooth material due to the fact that upon closure, maxillary second molars were in close proximity with mandibular retromolar area.

Option 2

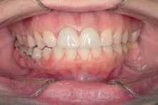
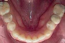
Placement of temporary anchorage devices (Miniscrew) in the buccal and palatal side of the maxillary second molars in order to orthodontically intrude those teeth and create the required biological space for implant and crown placement in the mandibular posterior molar region(Figure 3).

Interproximal reduction in the area between maxillary first and second molar is necessary to allow the intrusion of the second molar without being hindered by the proximal contact of the first molar.(figure 4)

Option 2 was the patient’s choice based on the fact that it saves tooth structure and integrity nonetheless he was informed about the possibility of failure of the miniscrews and the potential for discomfort due to contact between his tongue and the palatal miniscrews.

Treatment Progress

April 2021:

- Bonding of tubes on buccal and palatal surfaces of upper 2nd molars

- 2 Buccal (1.6 mm diameter 8mm length) infra-zygomatic mini screw on upper 2nd molars of each side were placed this high in order not to interfere with the intrusive movement.

- 2 Palatal (1.8 mm diameter 8 mm length) placed in the midpalatal suture and another halfway the distance between the left second molar and the mid-palatal suture .

- The mini-screws were placed in a way that the resultant forces on each side are 120-150 g of force leading to close to pure intrusion of 2nd molars .

20 Dental News Quarter II
Mini screw Assisted Limited Orthodontic Tooth Movement: About 2 Cases Reports
Figure 3 Figure 4

VistaVox S Ceph: 3-in-1 X-ray system from Dürr Dental.

Short scan time and high image quality with a low X-ray dose

Reduced radiation dose thanks to the anatomically adapted volume

Excellent image quality in 2D and 3D thanks to the high-resolution CsI sensor with a pixel size of 49.5 μm

Easy, intuitive workflow

Jaw-shaped field of view

Ideal 3D imaging volume matched to the shape of the jaw (Ø 130 x 85 mm)

Website

Any questions? Please contact: Dürr Dental Middle East, Phone: +968 7194 6652, Mail: middle.east@duerrdental.com

Ø 50 x 50 mm volumes in up to 80 μm resolution

More at www.duerrdental.com/x-ray
COMPRESSED AIR |  SUCTION  |  IMAGING  | DENTAL CARE | HYGIENE

The patient presented to the clinic every 6 weeks for chain replacement because slow intrusion is needed. The 2nd molar was blocked below the distal contact area of the 1st molar, monitored IPR was carried out between the 1st and 2nd molar on both sides to facilitate the intrusive movement. The treatment took 10 months with 7 appointments.

Retention protocol:

Case Discussion

The success of maxillary molar intrusion depend on the stability of the miniscrews placed at the appropriate level on the buccal and palatal side to achieve pure intrusive movements. Forces and appointments intervals needed to be adjusted without over loading the teeth or the miniscrews. Nickel Titanium coil springs could have been used for more constant forces acting on the molars but could pose a problem from hygiene and comfort standpoint, for those reasons , pre-stretched elastomeric chains were applied.

Conclusion:

Molar protrusion and molar protraction, once regarded as among the most difficult tooth movements to achieve are now successfully performed with the use of orthodontic TADs.

- After 7 months of active intrusion, the level of the 2nd molars was found appropriate, but the intrusion force was maintained as a means of retention for 2 more months.

- During that time, the patient placed 2 implants in the lower posterior edentulous areas (1 on each side)

- Debonding was done, and a thermoformed plastic retainer was manufactured and worn by the patient at all times except at meals to act as retention until the final crowns are placed on the implants which will then prevent relapse of the upper 2nd molars .

- The patient was offered the treatment of the cross-bite on the 1st molars with a segmental fixed appliance, but he declined

Bibliography

1. Creekmore TD, Eklund MK. The possibility of skeletal anchorage. J Clin Orthod. 1983 Apr;17(4):266-9. PMID: 6574142.

2. Kanomi, R. (1997). Mini-implant for orthodontic anchorage. Journal of clinical orthodontics, 31(11):763-767.

3. Costa A, Raffainl M, Melsen B. Miniscrews as orthodontic anchorage: a preliminary report. Int J Adult Orthodon Orthognath Surg. 1998;13(3):201-9. PMID: 9835819.

4. Hyo-Sang, Park. (1999). The skeletal cortical anchorage using titanium microscrew implants. Korean Journal of Orthodontics, 29(6):699-706.

5. Maino BG, Bednar J, Pagin P, Mura P. The spider screw for skeletal anchorage. J Clin Orthod. 2003 Feb;37(2):90-7. PMID: 12674749.

6. Yamaguchi M, Inami T, Ito K, Kasai K, Tanimoto Y. Miniimplants in the anchorage armamentarium: new paradigms in the orthodontics. Int J Biomater. 2012;2012:394121. doi: 10.1155/2012/394121. Epub 2012 Jun 5. PMID: 22719763; PMCID: PMC3374939.

7. Bae SM, Park HS, Kyung HM, Kwon OW, Sung JH. Clinical application of micro-implant anchorage. J Clin Orthod. 2002 May;36(5):298-302. PMID: 12056211

8. Jae-Hyun Sung, H.-M. K.-M.-S.-W. (2006). Microimplamts in Orthodontics . Daegu: Dentos .

22 Dental News Quarter II Mini screw Assisted Limited Orthodontic Tooth Movement: About 2 Cases Reports

Light-curing Glass Ionomer Filling Material

• Excellent working time and the setting time is individually adjustable by light-curing

• Immediately packable after placement in the cavity

• No varnish required- fill, polymerise and finish

• No need to condition the dental hard tissue

• Does not stick to the instrument and is easy to model

• Suitable for large cavities

Are you interested in our entire product range and detailed product information?

Visit our website or contact us directly!

PROMEDICA

Dental Material GmbH

Phone: +49 43 21 / 5 41 73 - Fax: +49 43 21 / 5 19 08 - Email: inf

CA® Pro:

Ultradent Products Introduces new Gemini EVO ™ Laser: Next Evolution in Laser Dentistry

The new standard in aligner treatment

Products, Inc., a leading developer and manufacturer of high-tech dental is introducing the latest addition in the Gemini™ laser family, the Gemini EVO™ EVO™ laser provides 100 watts of peak power—5x the power of the original laser for faster cutting, less heat, and ultra-clean incisions in soft tissue. Useroperation is facilitated through a guided touch interface and multiple preset are divided into three categories for efficient, intuitive use. Wi-Fi connectivity over-the-air updates with dedicated tech support—there’s also a mobile app dashboard to monitor usage statistics, including ROI.

Ultradent Products Introduces new Gemini EVOTM Laser: The Next Evolution in Laser Dentistry

Ultradent Products Introduces new Gemini EVOTM Laser: The Next Evolution in Laser Dentistry

Ultradent Products, Inc., a leading developer and manufacturer of high-tech dental materials, is introducing the latest addition in the GeminiTM laser family, the Gemini EVOTM diode laser.

Innovative double shell construction.

References

adapters are included with the Gemini EVO™ laser (3 mm, 7 mm, and 25 mm) clinicians can take full advantage of laser technology in their office it also features a warranty (which can be extended), has three wavelength modes, and uses the as the original Gemini™ laser. information about Gemini EVO™ please contact sophia.yadi@ultradent.com

CA® Pro

High elasticity and break resistance thanks to the double shell construction with flexible elastomer core.

Ultradent Products Introduces new Gemini EVOTM Laser: The Next Evolution in Laser Dentistry

Ultradent Products, Inc., a leading developer and manufacturer of high-tech dental materials, is introducing the latest addition in the GeminiTM laser family, the Gemini EVOTM diode laser.

The Gemini EVOTM laser provides 100 watts of peak power—5x the power of the original Gemini laser—for faster cutting, less heat, and ultra-clean incisions in soft tissue. User-friendly operation is facilitated through a guided touch interface and multiple preset procedures are divided into three categories for efficient, intuitive use. Wi-Fi connectivity allows for over-the-air updates with dedicated tech support—there’s also a mobile app and dashboard to monitor usage statistics, including ROI.

Magne P, Silva M, Oderich E, Boff LL, Enciso R. Damping behavior of implantsupported restorations. Clinical Oral Implants Research. 2013;24(2):143–8.

The Gemini EVOTM laser provides 100 watts of peak power— 5x the power of the original

Liebig J. Energy Dissipation and Damping Behavior of Commonly Used CAD / CAM Materials. 2018;35392.

Three PBM adapters are included with the Gemini EVOTM laser (3 mm, 7 mm, and 25 mm) so clinicians can take full advantage of laser technology in their office—it also features a two-year warranty (which can be extended), has three wavelength modes, and uses the same tips as the original GeminiTM laser.

3. Reymus M, Roos M, Eichberger M, Edelhoff D, Hickel R, Stawarczyk B. Bonding to new CAD/CAM resin composites: influence of air abrasion and conditioning agents as pretreat-ment strategy. Clinical Oral Investigations. 2019;23(2):529–38.

4. Emsermann I, Eggmann F, Krastl G, Weiger R, Amato J. Influence of Pretreatment Methods on the Adhesion of Composite and Polymer Infiltrated Ceramic CAD-CAM Blocks. The journal of adhesive dentistry. 2019;21(5):1–11.

For more information about Gemini EVOTM please contact sophia.yadi@ultradent.com

About Ultradent Products, Inc.

5. Kaleli N, Sarac D, Külünk S, Öztürk Ö. Effect of different restorative crown and customized abutment materials on stress distribution in single implants and peripheral bone: A three-dimensional finite element analysis study. Journal of Prosthetic Dentistry [Internet]. 2017;1–9. Available from: http:// dx.doi.org/10.1016/j. prosdent.2017.03.008

Gemini laser—for faster cutting, less heat, and ultra-clean incisions in soft tissue. Userfriendly operation is facilitated through a guided touch interface and multiple preset procedures are divided into three categories for efficient, intuitive use. Wi-Fi connectivity allows for over-the-air updates with dedicated tech support—there’s also a mobile app and dashboard to monitor usage statistics, including ROI.

constant force level

less initial force

Three PBM adapters are included with the Gemini EVOTM laser (3 mm, 7 mm, and 25 mm) so clinicians can take full advantage of laser technology in their office—it also features a two-year warranty (which can be extended), has three wavelength modes, and uses the same tips as the original Gemini

Contact

continuous force transmisson

Products, Inc., is a leading developer and manufacturer of high devices, and instruments worldwide. Ultradent’s vision is to improve oral globally. Ultradent also works to improve the quality of life and health of individuals through financial and charitable programs.

high wearing comfort

For more information about Gemini EVO please contact sophia.yadi@ultradent.com

December 2021
Fig. 17: BRILLIANT Crios restorations used for removable telescopic implant prosthesis. Fig. 18: Final case in the mouth of the patient. Wearing a complete denture on top and tele-scopic BRILLIANT Crios on the
www.doadental.com The material of the future for all kind of indications Innovation SCHEU-DENTAL GmbH Dubai Office www.scheu-dental.com phone +971 50 6255046 a.hbous@scheu-dental.com
32 Dental News
S T R ONG , VERSATILE , ANDEASYTO SCULPT! OneStepColor 800.552.5512 | ULTRADENT.COM TM ZIRCONIA NANO-HYBRID COMPOSITE

How Clear Aligners Completely Changed the Landscape of the Orthodontic Industry

The orthodontic industry is one that has encountered major innovation over the years, applying new technologies to help people get the straighter smile that they desire. Although braces have been in use since 1819, there are newer technologies in the market for correcting malocclusions. One technology that has made a significant impact on orthodontics is clear aligners. To learn more about clear aligners and why they’re such a game changer, let’s take a closer look at how clear aligners have changed the landscape of the orthodontic industry.

After Braces: The Creation of Clear Aligners

While it can be argued that clear aligners were being developed long before the 1990s, they truly made their debut in 1999. Clear aligners were a significant shift away from traditional braces. Rather than requiring your patients to be outfitted with brackets and wires in order to address malocclusions and move teeth to their desired position, clear aligners used a tray system that gradually shifted teeth to where they needed to be. Of course, clear aligners have undergone their own changes in such a short time as well. Now that technology has advanced to provide better dental and orthodontic care overall, you can use this technology alongside clear aligners to help your patients achieve their goals more effectively.

What Are the Benefits of Clear Aligners in Comparison to Braces?

When there are several alternatives to choose from for teeth straightening, understanding how one technology works in comparison to other options can demonstrate why it has had such an impact on the industry. Here’s why clear aligners have managed to be a standout product for patients.

Clear aligners make it possible to clean teeth effortlessly.

Maintaining oral hygiene is not only essential to oral health but for aesthetic purposes as well. Regardless of whether braces are applied to lingual and/or labial surfaces, brushing and flossing can be more difficult for your patients. Clear aligner trays eliminate this difficulty by allowing your patients to completely remove their trays in order to clean their teeth more thoroughly. 1

1- www.novaorthodontics.com/clear-aligner-faqs

Clear aligners are a reliable form of treatment. Clear aligners are effective at treating malocclusions2. Patients want to know that the treatment option they choose to straighten their teeth will work. While clear aligners may be a newer technology than braces, that doesn’t mean that they don’t work. While treatment may vary depending on severity and issue being resolved, clear aligners can help your patients achieve a better smile. Additionally, the sequence of aligner trays to be used is usually planned from the onset of treatment. This is game-changing because it gives patients greater visibility and control over their experience and treatment.

Clear aligners might provide your patients with a faster treatment process.

There are a lot of factors that go into orthodontic treatment, all of which will ultimately determine treatment time. That being said, clear aligners can sometimes be more effective in comparison to braces. Whereas treatment time tended to require around 12 months when clear aligner technology was first developed, some cases may be able to be treated in as few as six months – or even less time3. For patients looking to address their malocclusions fast and in such a way that their treatment is not visible, this can be a desirable option.

Modern technology can make the clear aligner process even more seamless.

When one thinks about the process of getting braces, one may typically envision traditional impressions, bonding brackets to teeth, and frequently tightening wires. With clear aligners, patients can avoid a great deal of this process. Impressions can often be taken digitally, with orthodontists designing treatment plans digitally as well4 – significantly improving how doctors can customize their patient’s aligner experience. Then, with your support, patients wear the trays for their predetermined amount of time, come in for regular checkups to ensure that they’re on track, and continue as expected with very few involved treatment processes. This can be a major benefit for modern orthodontic practices.

2- www.ncbi.nlm.nih.gov/pmc/articles/PMC6343314/

3- www.lastingimpressionsdentalgroup.com/blog/how-long-does-ittake-clear-aligners-to-work/

4- www.orthotown.com/magazine/articles/8667/the-clear-plan

26 Dental News Quarter II

There’s a wide range of clear aligner tray options

How Clear Aligners Completely Changed the Landscape of the Orthodontic Industry

Ultimate Interproximal Solution - ContacEZ dental strips for restorative, orthodontic, and laboratory needs. The innovative, single-handed design of ContacEZ Dental Strips offers optimal tactile control and grants easy access to tight anterior and posterior spaces. Flexible strips curve and conform to the natural contours of the teeth, while the central opening offers better visual perception and access for tools. This user and patient-friendly design eliminates gagging and prevents soft tissue irritation.

ContacEZ Restorative Strips System are designed to achieve ideal proximal contacts and complete marginal sealing as well as removing subgingival overhangs and more.

The ContacEZ IPR strips makes it easy to perform safe and stress-free interproximal reduction in connection with orthodontic treatment.

5 Reasons – to switch to ContacEZ Strips

• Optimal tactile control – prevent cutting lips and gums

• Built-in flexibility conforms to natural contours

• Ergonomic design eliminates hand fatigue

• Better visibility with central opening

• Autoclavable

For more information, scan the QR-code on your phone

For further information please contact your local dealer or Annelie Johansson, Area Sales Manager – Product specialist TrollDental x-ray, Finland, Baltic, East Europe, Greece, Turkey, MENA annelie.johansson@directadental.com www.directadental.com

Peri-implant Bone Loss Caused by Occlusal Overload

THE SAFEST * SIMPLY. RECIPROCATION

Smooth to use, minimally invasive. Why choose anything else?

*Based on internal laboratory results compared with equivalent competitors' instruments
S W ISS Q UALI T Y F KG
www.fkg.ch/r-motion

Admira Fusion 5 by VOCO – Simplified shade system through Cluster-Shades

The correct determination of the tooth shade is the key for an aesthetic result of the restoration. Finding the optimal shade is often not that easy. One of the most common methods to define the tooth shade is the use of shade guides. Compared to the variety of shades that a natural tooth has, a shade guide can only show a limited colour spectrum, which can lead to an incorrect shade selection. VOCO has therefore set itself the goal of offering dentists a state-of-the-art universal filling material that extremely simplifies daily practice. The solution: The further development of the innovative, purely ceramic-based ORMOCER® filling material Admira Fusion. With the new universal composite Admira Fusion 5, it is now possible to cover all VITA® classical shades with just five Cluster-Shades.

New and patented resin matrix

Admira Fusion 5 uses five different Cluster-Shades, each of which bundles several VITA® classical shades. The so-called Cluster-Shade-System is enabled by the new patented resin matrix, which has been adapted to the size and optical properties of the nano-hybrid particles, which results in optimised light scattering. The result: a targeted and enhanced chameleon effect within the respective Cluster-Shade, which allows the filling material to perfectly match the natural tooth shade. Thanks to this simplified shade system, dental practices are optimally positioned for all cases in their daily practice with only five shades and can thus significantly slim down their inventory. There is no need for multi-colour layering or the use of an additional blocker or opaquer. By optimising the resin matrix, it has also been possible to significantly reduce the light-curing time: For all five shades, a polymerisation of only 10 seconds is necessary. This saves valuable time.

Proven ORMOCER® technology

With Admira Fusion 5, dentists benefit from the advantages of the proven technology of the high-performance composite Admira Fusion. The innovative combination of nano-hybrid and ORMOCER® technology, in which both fillers and resin matrix are based on silicon oxide, enables a purely ceramic-based material. Due to the ORMOCER®s (Organically Modified Ceramics) used, Admira Fusion 5 is highly biocompatible, as it does not contain any classic monomers. In addition, the material has by far the lowest polymerisation shrinkage of 1.25 % by volume and an associated extremely low shrinkage stress compared to all conventional restorative composites.

In extensive tests, the easy handling was rated particularly positively. The material can be modelled very well and does not stick to the instrument. In addition, Admira Fusion 5 is compatible with all conventional bondings and is available in both syringes and caps.

Kerstin Hastedt, VOCO GmbH – Public Relations Tel.: +49 (0) 4721 719-1732, E-Mail : k.hastedt@voco.de
32 Dental News Quarter II

19 - 21 January 2023

Hilton Hotel and Residences Riyadh

On behalf of the organizing committee, I am happy and honored to welcome you to the 34th annual Saudi international Dental Conference, SIDC 2023.

We planned a series of academic and clinically oriented comprehensive and focused scientific sessions and workshops, we have 127 expert speakers, 150 lectures and 35 hands-on workshops so that general dental practitioners, specialists, and dental students can gain knowledge about dentistry through well-known speakers from all over the world. The organization of SIDC 2023 was a great experience in planning, execution and resulted as a well-coordinated event. My sincere gratitude is owed to the great support from the scientific committee and the able Boards members and of the Saudi Dental society who approached professional speakers and forums around the world. The primary focus of our team was to update the dental fraternity of Saudi Arabia with current and advanced technologies and management techniques in par excellence.

Dates and topics were confirmed; speakers were finalized and thus started our journey! SIDC is changing Saudi Arabia’s outlook of global dentistry by their technology and creativity. Congratulations to each member of the Scientific committee for their excellent contributions and performance. We are really happy with the fantastic results! The SIDC event turned out to be an enormous success because of you all!

A successful event results from creativity, hard work, and effort from all the Deans and administrative heads of the premier institutions in Saudi Arabia. A lot of preparation, time, and planning goes into ensuring a smooth drive of such a huge international event. So, we owe the memorable time spent in SIDC to all the kind hearts who supported us in every single endeavor of SIDC.

Thank you once again, and hope you enjoy SIDC 2023

34 Dental News Quarter II
Dr. ZiyaD allahem, PresiDent of the sauDi Dental society Dr mohameD rifai, Dean Ksu Dental school algerian Dental association, Dr. Dib mohameD reDa Pr ihsane benyehya, fDi PresiDent certificate to Dr abDulsalam almaDani, chairman inDex holDing Dr baDran alomar, Ksu PresiDent, hanDing the troPhy to Dr. abDelrahman sarhan from Dr. abDulaZiZ alajaji Polyclinic Dr. ZiyaD allahem, PresiDent of the sauDi Dental society

certificate Distribution

to Dr. meshari alotaiby to Dr. mohameD shahDa from bahrain Drs: abDulrahman alaZri, Khalil aleisa, aboubKr rawi, mohamaD sulaiman, mohamaD Darwish to Dr mohamaD al Zahrani from the sauDi Dental hygiene society to Dr. mohammaD al-harthy to the egyPtian Dental association, Prof magiD amin

certificate Distribution

to the moroccan Dental association, Dr. Kamal benmansour to the PresiDent of the egyPtian Dental synDicate, Dr ehab heiKal to the oman Dental association, Dr abDul rahman al-aZri to the PresiDent of the lebanese Dental association, Prof. ronalD younes to the iraqi Dental association, Dr abou baKr alrawi to the lebanese Dental association, triPoli, Dr hani awaiDa

certificate

Distribution

38 Dental News Quarter II
to the sauDi society of PerioDontology, Dr montaser alqutub to the tunisian Dental association, Dr bassem maatar to Prof. Khalil al eisa to the sauDi ProsthoDontic society, Dr. saeeD alZahrani to the sauDi orthoDontic society, Dr mohammeD alharbi to the sauDi society of oms, Dr. muslet alrbeyan thimar al jaZirah booth gc booth Dr baDran al omar, PresiDent of Ksu inaugurating the Dental exhibition belmont booth Drs.: ZiaD allahem, mayaDah al-moZainy, laila bahammam Drs.: tony Dib, saaD alnaZhan, saleh al ghabban, tareK abbas, majiD amin, ahmeD qahtani, KhaleD baDr, alabbas moheiDine exhibition floor l to r: Drs mohamaD sulaiman, mohamaD Darwish, Dean abDulghani mira, abDulrahman sarhan, abDul rahman al-aZri
fKg booth
Drs. : osama basri, arwa alsayeD, ZiaD yamani Delegates visit to historical Diriyah anD salwa Palace l to r: hamZa riyal, tony Dib, nawras hasna, ronalD younes, haKam moussa Drs. : nahawanD thabet, tareK abbas, haitham faqih, tony Dib, abDallah alamri Drs. : tony Dib, Denis bourgeois, fahaD alshehri, Paul tamer Prof. yousef talic Past PresiDent of the sDs at the mira booth Denmat booth
the use of
Dr. marc habib Demonstrating
mta
Doctor smile booth Dr amro farrag rm at meDit Durr booth exhibition floor

The full range of oral surgery applications

For the first time, W&H can cover the entire workflow for minimally invasive oral surgery with a modular solution. With a new addon for Implantmed Plus, the Piezomed module, the company is breaking new ground: implantology and piezo surgery are now combined in a single device. This will simplify clinical work and open up new prospects for treatment. Andreas Brandstätter, Strategic Product Manager for Oral Surgery and Implantology, was impressed with the new standard for the market. We spoke to him about the product’s positioning and benefits for users.

1. What makes the new Piezomed module from W&H a genuine breakthrough in oral surgery?

Andreas Brandstätter: At W&H, we want to push boundaries and think outside the box with our users. We definitely achieved this in the development of our Piezomed module. It is easy and cost-effective to fit onto the Implantmed Plus. The result is a modular system that combines implantology and piezo surgery in one device for the first time, simplifying workflows. For me, this marks a genuine breakthrough in oral surgery that meets our users’ requirements.

2. How important is the new Piezomed module in modern oral surgery?

Andreas Brandstätter: It is a component that was missing on the market until now. The new Piezomed module complements our product range and combines implantology and piezo surgery in one device for the first time. This, coupled with the implant stability measurement and documentation features, makes us the first manufacturer to cover the entire surgical workflow. Oral surgeons can now discover a new world of treatment possibilities.

3. How does W&H’s surgical portfolio differ from that of competitors?

Andreas Brandstätter: We have the complete range of oral surgery. All products and features are fully tailored to the user’s workflow: Implantmed Plus ensures efficient, safe implantology work, while the Piezomed module gives oral surgeons all the benefits of W&H piezo technology. Our surgical contra-angle handpieces allow procedures to be performed with unrivalled precision, while the wireless foot control ensures greater comfort and freedom of movement. The Osstell Beacon for measuring implant stability provides certainty in assessing the correct loading time for an implant. Comprehensive documentation guarantees full traceability. That means we are offering a unique modular system with perfectly dovetailed components, guaranteeing maximum efficiency and reliability in everyday clinical practice.

4. What market strategy are you pursuing with the new Piezomed module?

Andreas Brandstätter: We want to embed piezo surgery as the new oral surgery standard in dental practice and establish it as a fixed element of surgical workflows. The aim is for our new modular system to become THE synonym for oral surgery & implantology in the future.

5. What are the strengths of W&H piezo technology?

Andreas Brandstätter: First and foremost, it is easy and intuitive to use. Another technical highlight is the patented automatic instrument detection. This automatically sets the right power class when the instrument is inserted and reduces the risk of instrument overload. In addition, with more than 30 different instruments and saws, our product range covers a broad spectrum of tasks. The specially developed sawcutting geometry ensures outstanding cutting performance. For example, bone block removals can be carried out with little bone loss, which is ideal for ensuring procedures are minimally invasive. And, we use a special spray design to cool the treatment site perfectly.

6. What advantages does the new W&H modular system have in store for users?

Andreas Brandstätter: We are offering two versions of our Piezomed module: Piezomed Plus and Piezomed Classic. Whether it’s for general dental scenarios, for example assisting with tooth extractions, or for intensive use, both versions are designed to simplify processes in dental practice. Another benefit is the standardised operation. What’s more, only irrigation tubing and a saline solution are required, which enables optimised handling. In addition, users always have the right device (implantology motor/piezosurgical instrument) to hand in a compact and space-saving form, whatever the application.

7. What is your personal highlight of the new product innovation?

Andreas Brandstätter: With our new modular system, we are pushing the boundaries of oral surgery. The way of working is changing and becoming simpler, helping modern dentistry to progress.

In addition, we are offering our customers an attractive solution in terms of price. Even as early as the product development stage, we kept an eye on the manufacturing costs and deliberately avoided using multiple components. For example, only one display, touch screen and coolant pump are used for a surgical application. We are delighted we can pass on this manufacturing cost reduction to our customers – a classic win-win situation.

43 Dental News Quarter I
I
WWW.GNYDM.COM Follow Us NO PRE-REGISTRATION FEE
Meeting is Held at the Jacob K. Javits Convention Center
Largest Dental Meeting in the United States
TEN SPECIALTY PROGRAMS The

The 35th congress of the Egyptian Orthodontic Society

January 26-28, 2023, Luxor

The 35th congress of the Egyptian orthodontic society was held from January 26-28, 2023, in Luxor, Egypt. The congress was attended by renowned orthodontists and researchers from Egypt and around the world. Luxor was the capital city of ancient Egypt and hosts more than 50% of old Egyptian antiquities. The congress had a diverse mix of keynote lectures and presentations.

A successful anniversary event was the International Dental Show IDS, which came to an end on Saturday, 18 March 2023, after five intensive days. This year, the IDS celebrated its 100th birthday and was also held for the fortieth time - with an impressive turnout among exhibitors and visitors: around 120,000 trade visitors from 162 countries came to Cologne to find out more about the comprehensive range of dental medical and dental technology products presented by 1,788 exhibiting companies from 60 countries. “IDS 2023 was convincing all along the line and at the same time proved that it continues to reinvent and develop itself even after 100 years. The dynamic, innovation and power emanating from IDS are impressive. And IDS has once again confirmed that it is a world-leading trade fair. The quality of visitors was - and I say this not only as Chairman of the VDDI, but also as an IDS exhibitor - sensational. This year’s claim, ‘100 years of IDS – shaping the dental future’ stands for the synonym for the outstanding significance of the trade fair today and in the future,” commented Mark Stephen Pace, Chairman of the Association of the German Dental Industry (VDDI).

The congress featured 5 keynote lectures by prominent orthodontic speakers from around the world namely Dr. Ali Darendeliler from Australia, Dr. Ute Schneider-Moser from Italy, Dr. Moschos Papadopoulos from Greece, Dr. Waddah Sabouni from France, and Dr. Nour Tarraf from Egypt/Australia. In addition, it featured around 26 oral presentations from speakers from 14 different countries. Topics covered included advances in orthodontic technology, clinical orthodontic procedures, and the use of digital technologies in orthodontics. A poster session featured several poster presentations from researchers and students on various orthodontic topics. These provided an opportunity for discussion, exchange of ideas, and networking among attendees.

IDS convinced once again with its high level of internationality and quality of the visitors. 60 percent of the trade visitors came from abroad. As usual the attendance from the EU countries Italy, France, the Netherlands, Spain, but also from Belgium, Romania and Greece was high. A high share of visitors was recorded from Asia, South America, the USA and Canada again.

The general assembly of the Society took place after the first day’s sessions and featured election of the new Board of the Society and a celebration to sign an agreement for cooperation between the Egyptian Orthodontic Society and the Saudi Orthodontic Society by the respective presidents Dr. Abbas Zaher (EOS) and Dr. Mohamed Al Harby (SOS).

Trends: Stringent digital workflow and improved sustainability

Two trends were clearly recognizable at the 40th International Dental Show 2023: The stringent digital workflow and an improved sustainability. For example, digital X-rays that are upside down can be turned the right way around using artificial intelligence, whereby the image plate scanner used is produced in a CO2 neutral way. In addition, the digital workflow in the laboratory is becoming more effective. For example, two models can be scanned now in the extraoral scanner at once.

An interesting and intensive social program was organized around the scientific sessions in order to give chance to all attendees to participate in the tours as well as lectures. Several tours to the most important sites were organized in addition to a tour in hot-air balloons to witness the most inspiring sun rise. The congress Gala Dinner was organized in the premises of the Luxor Temple, a breath taking 4500-year-old temple, included a Pharaonic show and awards ceremony to visiting speakers and five attending presidents of orthodontic societies that have agreements of cooperation with the EOS; Mexico, Greece, Morocco, Saudi Arabia and Azerbeijan. A trip in traditional feloukas on the Nile, followed by traditional dinner featuring local show and food variety was the final event of the congress and all International and Egyptian guests bed farewell on a promise not to miss the annual congress of the EOS next year.

“The anniversary event of IDS 2023 went extremely well for us. We already noticed on the second day that our investments in an even larger stand and many live presentations had paid off: Numerous visitors informed themselves at our stand and the decision-makers reached a conclusion. Because the personal exchange between the industry, users and the trade is of immense importance within our dental family. Skepticism prevails within several industries that the digital trade will overtrump on-site trade fairs, but in 2023 one noticed that the customers and users could hardly wait to dive into the trade fair experience.”

45 Dental News Quarter II
1 Dental News Quarter IV
the Egyptian Orthodontic Society The Centenary Anniversary of the IDS 2023, proved to be convincing on all fronts.
46 Dental News Quarter II
Board MeMBers of the egyptian orthodontic society, drs. Khaled attia, aBBas Zaher, Wael Massoud, aBBadi elKadi, faten el hattaB trophy to dr. aladin saBBagh froM gerMany trophy to dr. eleftherios KaKlaManos froM greece trophy to dr. MohaMed elharBi froM saudi araBia dr. Moschos papadopoulos and dr. Walid elKenani dr. Khaled aBou alaZM giving the trophy to dr. aMro adel froM starlyner
47 Dental News Quarter II
trophy to dr. youssef sedKy trophy to dr. ZaKaria Bentahar froM Morocco trophy to dr. ute schneider-Moser trophy to dr tony diB froM leBanon trophy to dr. Zouhair aBidine froM Morocco

Interview with Mr Fabio Velotti, president of UNIDI

Mr. Veloti, we are in Dubai at the AEEDC 2023, and this is not the first participation of the Italian dental industry association, the UNIDI as the representative of the Italian pavilion. So first of all, can you introduce yourself and introduce UNIDI to the dental world?

I am, Fabio Velotti, president of UNIDI (Italian Dental Industry Association) which is the association that unites all Italian manufacturers of dental products. The association counts more than 110 manufacturers, and 40 of them are here exhibiting at the AEEDC.

We do join altogether in the Italian Pavilion with the support of ICE. ICE is the international committee for export. So the Ministry is helping the association and the Italian industry to internationalize.

Regarding the market in the Middle East, for how long have you been doing business with this part of the world?

The Italian companies have been for a very long time in this part of the world in every country without exceptions, mainly equipments for the dental office and the laboratory, restoratives, and consumables.

I, myself, I'm doing business with this part of the world since the last 10 years, only because the company I lead, which is Pierrel, is a company, that is quite new in the international world. So we only started in 2012 with, internationalization. And, now we are selling into 33 Countries worldwide. And, in the Middle East we distribute in Saudi Arabia, Qatar, Oman, Lebanon, Jordan and we are in the process of registration in the other countries.

What is new into the dental industry, Is there an evolution in the production of the new products?

I think many efforts are done in this field since

years. The digital industry is going very quick. And this does not only apply for equipment, but also for materials. So the combination of the two sectors are joining together toward a common target, which is a digitalized dental workflow. And you can now see in every single spot of dental business; you see it in radiology, you see it in CAD-CAM in implants etc.

So you have more products combining together in the workflow, example for hygiene, for Implantology, and for aesthetics. All sectors of the dental industry are trying to put their piece into this workflow to really complete each other and make it work together. And this was driven by the dental business demand.

Dentists are more and more demanding a full service. They want a very easy workflow to follow from the beginning to the end. And to that, the industry is answering by providing products for each single piece of the Workflow.

Where is the Italian industry positioned into the digital dentistry offering?

Italy is a country based on medium and small industries. So, they are very flexible and they›re very quick in adapting, and in innovating the business. So if you look at the giant companies, maybe you can find in Germany, in the US or in Japan. But when you go to Italy, you find multiple number of companies, each one specializes into a specific field. Small companies, very reactive and innovating a lot. As a matter of fact, Italy is nowadays the second biggest market, as far as for the production of dental products in Europe, just immediately after Germany. But, the way Italy is responding to the worldwide dental market is by creating new businesses, new companies and not yet aggregation of companies, but this is also a benefit when there are, complicated situations like in the pandemic period.

I thank you very much and have a good Show.

48 Dental News Quarter IV
Interview

AEEDC Dubai, 7-9 February 2023, WTC Dubai

We welcome you all to the 27th edition of the UAE International Dental Conference and Arab Dental Exhibition – AEEDC Dubai the largest annual scientific dental conference and exhibition in the world.

AEEDC Dubai 2023 promises to excel past all expectations as we are preparing to host more than 155 countries in the Dubai World Trade Centre, bringing an immeasurable amount of experience and expertise in the same room.

This year, we welcome the Republic of Korea as the Guest of Honour, a long-standing partner and contributor to AEEDC for more than 15 years. We have seen them grow significantly during this time and we are delighted to highlight their achievements this year.

AEEDC Dubai 2023 conference will be held under the theme ‘Education and Innovation Transfer.’ We take these steps to ensure we are all aware that we can never pause our teaching and learning with one another, for we all have a treasure chest full knowledge to share with the world. The exhibition halls will feature how we put our

knowledge into practice through various workshops while also displaying the latest innovative products on the market today.

Dentists and industry professionals alike from all around the world who are attending AEEDC have all committed to the same remarkable qualities of excellence, such as being the most knowledgeable, being trustworthy to all, and aiming to be an expert in their field. We strive to enhance our skills through valuable communication while keeping compassion in our hearts for the patients under our care.

We sincerely appreciate every member of AEEDC Dubai over the last 27 years who have contributed to its great success in becoming the leading dental conference and exhibition it is today, and we look forward to seeing you all continuing this journey together.

49 Dental News Quarter II
NEW! THE CURING LIGHT REIMAGINED LARGER 12.5 MM LENS BLACK AND WHITE LIGHT DIAGNOSTIC MODES SIMPLIFIED INTERFACE NEW ACCELEROMETER FUNCTION 800.552.5512 ULTRADENT.COM SEE MORE AT ULTRADENT.COM/INFO/VALO-X © 2022 Ultradent Products, Inc. All rights reserved. 04/01/2023 5:53 PM
L to R: DR. MohaMeD abeDin, DR. RobeRt eDwab, DR. taRek khouRy, eng. anas aL MaDani, eMb. DR. abDuLsaLaM aL MaDani, PRof. abDuLLah shaMMeRy, DR. MeshaRi aLotaibi, DR. naseR MaLik, PauL wiLson at the gLobaL scientific DentaL aLLiance – gsDa Meeting
50 Dental News Quarter II
beLMont booth DMP booth fkg booth coLtene booth nsk booth
62 Dental News December 2022 Innovation Ultradent Products, Inc., a leading developer and manufacturer of hightech dental materials and equipment, launched the newest edition of its multiaward-winning VALO curing light— the completely redesigned VALO As Ultradent’s most innovative curing light yet, the VALO X curing light offers the ultimate in engineering and design when including durability, power, accessibility, and versatility. Thanks to its larger 12.5 mm lens and new curing light offers a more complete cure than ever before. Its superior features allow clinicians to cure with confidence, and not have to question the capabilities of depth, beam collimation, and thermal management. The VALO X curing light comes equipped with two power modes (Standard Power and Xtra Power), two white light), as well as the ability to work corded or cordless. The light’s one-button activation also sports a user interface with an accelerometer, so users can cycle between the light’s power and diagnostic modes with just the wave of the wand, a light drum tap, or the push of a button. This helps reduce mid-procedure fumbling Ultradent Introduces New VALOTM X Curing Light and the likelihood of dropping the light. The VALO X light also comes with five accessory lenses, which further enhance its capabilities. A simplified, low-profile design enables the light’s head to reach posterior restorations with ease. “We simplified the VALO X curing light even more by making it the only light that allows you to change modes without pushing buttons, thanks to its Research and Development Neil Jessop. “In fact, it’s engineered so well that it change modes by accident, providing the experience and performance you expect VALO X curing light even more by making it the only light that allows you to change modes without pushing buttons, thanks to of Research and Development Neil Jessop. “In fact, it’s engineered so well that it won t change modes by accident, providing the experience and performance you expect Like Ultradent’s other award-winning VALO curing lights, the VALO X curing light is milled from a single bar of aerospacegrade aluminum—a material that improves thermal management, LED longevity, and provides unmatched durability. For more information please contact sophia.yadi@ultradent.com THE CURING LIGHT REIMAGINED DIAGNOSTIC MODES FUNCTION 800.552.5512 ULTRADENT.COM SEE MORE AT ULTRADENT.COM/INFO/VALO-X
henRy schein booth DR saMeeR ReDwan with his faMiLy
MeMbeRs
DRs. najib khaLaf, abDeLRahMan azRi, ziaD saLaMeh DentaVeRse booth house of wisDoM acaDeMy Mani booth DRs. waseeM RaDwan, tony Dib, PRof. abDuLLah shaMMeRy, DR. MohaMeD Rafei at the RiayDh eLM
uniVeRsity
62 Dental News December 2022 Innovation Ultradent Products, Inc., a leading developer and manufacturer of hightech dental materials and equipment, launched the newest edition of its multiaward-winning VALO curing light— the completely redesigned VALO broadband LED curing light. As Ultradent’s most innovative curing light yet, the VALO X curing light offers the ultimate in engineering and design when comes to every aspect of the light— including durability, power, accessibility, and versatility. Thanks to its larger 12.5 mm lens and new curing light offers a more complete cure than ever before. Its superior features allow clinicians to cure with confidence, and not have to question the capabilities of depth, beam collimation, and thermal management. The VALO X curing light comes equipped with two power modes (Standard Power and Xtra Power), two white light), as well as the ability to work corded or cordless. The light’s one-button activation also accelerometer, so users can cycle between the light’s power and diagnostic modes with just the wave of the wand, a light drum tap, or the push of a button. This Ultradent Introduces New VALOTM X Curing Light and the likelihood of dropping the light. The VALO X light also comes with five accessory lenses, which further enhance its capabilities. A simplified, low-profile design enables the light’s head to reach posterior restorations with ease. “We simplified the VALO X curing light even more by making it the only light that allows you to change modes without pushing buttons, thanks to its new accelerometer,” says Ultradent VP of Research and Development Neil Jessop. “In fact, it’s engineered so well that it change modes by accident, providing the experience and performance you expect VALO X curing light even more by making it the only light that allows you to change modes without pushing buttons, thanks to of Research and Development Neil Jessop. “In fact, it’s engineered so well that it won change modes by accident, providing the experience and performance you expect Like Ultradent’s other award-winning VALO curing lights, the VALO X curing light is milled from a single bar of aerospacethermal management, LED longevity, and provides unmatched durability. For more information please contact NEW! THE CURING LIGHT REIMAGINED DIAGNOSTIC MODES FUNCTION 800.552.5512 ULTRADENT.COM SEE MORE AT ULTRADENT.COM/INFO/VALO-X
sDi booth
Left to Right DRs.: josePh bouseRhaL, ziaD eLLaheM, MohaMeD haRbi, tony Dib, faysaL eLkhayaL sauDi oRthoDontic society booth
totaL-coRe booth uLtRaDent booth w&h booth wiLD booth uniDi PaViLion Voco booth 62 Innovation Ultradent Products, Inc., a leading developer and manufacturer of hightech dental materials and equipment, launched the newest edition of its multiaward-winning VALO curing light— the completely redesigned VALO X broadband LED curing light. As Ultradent’s most innovative curing light yet, the VALO X curing light offers the ultimate in engineering and design when comes to every aspect of the light— and versatility. Thanks to its larger 12.5 mm lens and new powerful custom LED chip, the VALO X than ever before. Its superior features allow clinicians to cure with confidence, and not have to question the capabilities of their light. This includes improved curing management. The VALO X curing light comes equipped with two power modes (Standard Power and Xtra Power), two diagnostic light modes (black light and corded or cordless. The light’s one-button activation also sports a user interface with an accelerometer, so users can cycle between the light’s power and diagnostic modes with just the wave of the wand, a light drum tap, or the push of a button. This helps reduce mid-procedure fumbling Ultradent Introduces New VALOTM X Curing Light Ultradent Products Inc. and the likelihood of dropping the light. The VALO X light also comes with five accessory lenses, which further enhance its capabilities. A simplified, low-profile design enables the light’s head to reach posterior restorations with ease. light even more by making it the only light that allows you to change modes without pushing buttons, thanks to its new accelerometer,” says Ultradent VP of “In fact, it’s engineered so well that it change modes by accident, providing the experience and performance you expect from a VALO curing light.” VALO X curing light even more by making it the only light that allows you to change modes without pushing buttons, thanks to its new accelerometer,” says Ultradent VP “In fact, it’s engineered so well that it won change modes by accident, providing the experience and performance you expect from a VALO curing light.” Like Ultradent’s other award-winning VALO curing lights, the VALO X curing light is milled from a single bar of aerospacegrade aluminum—a material that improves thermal management, LED longevity, and provides unmatched durability. For more information please contact sophia.yadi@ultradent.com NEW! THE CURING LIGHT REIMAGINED FUNCTION 800.552.5512 ULTRADENT.COM SEE MORE AT ULTRADENT.COM/INFO/VALO-X
shining 3D booth
54 Dental News Quarter II
DR aDnane ishgi LectuRe: esthetic DentaL PRactice hacks in PRosthoDontics DR. Dina Dbaybo DR fiLiPPo caRDinaLi ReceiVing the ceRtificate foR taLking about bioceRaMic seaLeRs in enDoDontics iMPRoVing youR coMMunication anD LeaDeRshiP skiLLs by DR. RobeRt eDwab DR waseeM RaDwan LectuRe ‘Less is MoRe’ aPPRoach in MuLtiDisciPLinaRy DentistRy DR. guiLLauMe jouanny LectuRe on the MiniMaLLy inVasiVe enDoDontics chaLLenge DR. MohaMeD fayaD ReceiVing the tRoPhy fRoM DR. MohaMeD abeDine DR konstantinos kaLogeRoPouLos confeRence on cbct in PeRiaPicaL suRgeRy DR. RiccaRDo tonini LectuRe on siMPLexity in enDoDontics DRs. ahMaD Rizk, taRek MahMouD, MohaMeD DaRwish, MohaMaD suLaiMan L to R : tony Dib, josiane Dib, MohaMeD nagi, faysaL khayaL, fouaD taLic DR. saMiRa osaiLan at the DentaL news booth L to R : DRs. tony Dib, MeshaRi aLotaibi, MohaMeD aLobeiDa, youssef khoDeiR DRs. MeshaRi aLotaibi, najib khaLaf, khaLiL eisa, RoLa Dib, eMiLe khaLaf DRs. faysaL aL khayyaL, eMan naMankani, tony Dib DR. josette caMiLLeRi, MRs. josiane Dib, PRof. ihsan benyehya, PResiDent of the fDi DRs. saMiR thuMaiRy, ghaLeb RaDwan, tony Dib L to R: DR. najib khaLaf, MRs. josiane Dib, DR. RoLa khaLaf, DR. tony Dib DRs: tony Dib, waLteR DeVoto, angeLo Putignano, MohaMeD abeDin

Lebanese Society of Endodontology

10-11 March 2023, Hilton Beirut

Dear colleagues and guest speakers.

On behalf of the Lebanese Society of Endodontology I would like to welcome you all to our 18th international meeting entitled “anatomical approach of root canal therapy”.

You are a real endodontist if you comprehend and manage root anatomy in all its aspects, the anatomy that influences the outcome of any root canal therapy; this is why the LSE board chose one of the actual Macros in the world in this field; Prof. Marco Versiani from Brazil (Brazil is the second home of the Lebanese where lives between seven and 10 million) Thank you Prof. for accepting our invitation and spending a day and a half to reach us and to enrich our Congress.

You are not a real endodontist if you did not read Steve Buchanan and/ or see his tutorials; All these articles and videos that we grew on about shaping; managing the apical zone; use of K10 bending or not; building strategies to optimally prepare canal system; about all new in the world of endodontics; A flow of information that never ends, and that each and every endodontist should assimilate before going to real life and wet his hands (safely) inside the roots.

Thank you, Dr. Buchanan, for coming from the United States, for honoring our Endo community sharing your knowledge and your clinical tips with all of us; thanks to Plan B and its local dealer Assy Trading.

You are a real endodontist if you correctly use and in excellent style the endodontic armamentarium; especially the new rotary files; and this is what the star; the gold member of style Italiano Dr. Riccardo Tonini will show us, thank you dear for your participation coming from Italy the beloved country of the heart of Lebanese. Thanks to FKG specially Dr. Ghada Bassile who is always present and always sponsoring lecturers. thanks to Dima FKG local dealer. Dr. Jenner Argueta from Guatemala, also from South America, will enlighten on how to properly use bioceramics and improve the outcome even in difficult cases.

Thanks to Meta and its Local dealer SMT for being Gold Sponsor for the event. Finally, you are a real endodontist if you conserve the tooth structure and manage its restoration; allowing a long life for it.

Prof. Miguel Martin from Portugal will focus on this topic and share his knowledge and his clinical experience to conserve the tooth functional as long as possible. As the famous Lebanese poet Gibran Khalil said “Out of Suffering have emerged the strongest souls”

Thank you my friends for your strong souls and your active participation, and make sure to Enjoy this fantastic Endo fair without missing any lecture or any workshop.

58 Dental News Quarter II
Dr. Edward Rizk, President of the Lebanese Society of Endodontology L to R_ DRs. RouLa abiaD, issam KhaLiL, Joseph saDeR, ZiaD mouJaes, eDwaRD RiZK L to R_ DRs. tony haRb, eDwaRD RiZK, maRc KaLoustian anD maRc habib
59 Dental News Quarter II
opening ceRemony DR. eDwaRD RiZK, pResiDent of the Lebanese society of enDoDontics pRof maRco VeRsiani ReceiVing the ceRtificate foR giVing a LectuRe on Root anatomy L to R DRs. Joseph saDeR, eDwaRD RiZK, Dean essam osman, faDL KhaLeD, KaRim KabbaRa DR. faDL KhaLeD, boaRD membeR of the Lse

IDS

2023, 14-18 March, 2023, Cologne

The Centenary Anniversary of the IDS 2023, proved to be convincing on all fronts.

A successful anniversary event was the International Dental Show IDS, which came to an end on Saturday, 18 March 2023, after five intensive days. This year, the IDS celebrated its 100th birthday and was also held for the fortieth time - with an impressive turnout among exhibitors and visitors: around 120,000 trade visitors from 162 countries came to Cologne to find out more about the comprehensive range of dental medical and dental technology products presented by 1,788 exhibiting companies from 60 countries. “IDS 2023 was convincing all along the line and at the same time proved that it continues to reinvent and develop itself even after 100 years. The dynamic, innovation and power emanating from IDS are impressive. And IDS has once again confirmed that it is a world-leading trade fair. The quality of visitors was - and I say this not only as Chairman of the VDDI, but also as an IDS exhibitor - sensational. This year’s claim, ‘100 years of IDS – shaping the dental future’ stands for the synonym for the outstanding significance of the trade fair today and in the future,” commented Mark Stephen Pace, Chairman of the Association of the German Dental Industry (VDDI).

IDS convinced once again with its high level of internationality and quality of the visitors. 60 percent of the trade visitors came from abroad. As usual the attendance from the EU countries Italy, France, the Netherlands, Spain, but also from Belgium, Romania and Greece was high. A high share of visitors was recorded from Asia, South America, the USA and Canada again.

Trends: Stringent digital workflow and improved sustainability

Two trends were clearly recognizable at the 40th International Dental Show 2023: The stringent digital workflow and an improved sustainability. For example, digital X-rays that are upside down can be turned the right way around using artificial intelligence, whereby the image plate scanner used is produced in a CO2 neutral way. In addition, the digital workflow in the laboratory is becoming more effective. For example, two models can be scanned now in the extraoral scanner at once.

Josef Richter, Chief Operating Officer & President, GC Europe AG

“The anniversary event of IDS 2023 went extremely well for us. We already noticed on the second day that our investments in an even larger stand and many live presentations had paid off: Numerous visitors informed themselves at our stand and the decision-makers reached a conclusion. Because the personal exchange between the industry, users and the trade is of immense importance within our dental family. Skepticism prevails within several industries that the digital trade will overtrump on-site trade fairs, but in 2023 one noticed that the customers and users could hardly wait to dive into the trade fair experience.”

60 Dental News Quarter II
61 Dental News Quarter II
DURR Booth CURADEN Booth MEDit Booth DMP Booth ShiNiNg 3D Booth VoCo Booth
62 Dental News Quarter II
hENRySChEiN Booth RAy Booth DENMAt Booth CAREStREAM Booth VitA Booth SDi Booth
Quarter II
A-DEC Booth MoRitA Booth gC Booth ColtENE Booth BUSCh Booth BiSCo Booth

Things you should not shake!

V-PRINT PRINTING MATERIALS: ALWAYS OPTIMALLY HOMOGENEOUS

• No need to be shaken – you define the timing of your workflow

• Efficient – save time and costs for homogenisation devices, print savely –even overnight!

• Reproducible – product properties are reliably achieved, again and again

For more information please contact VOCO’s Business Development in Middle East/Northern Africa, Mohamad El Fil (+961-3-805758 / m.elfil@voco.com)

VOCO GmbH · Anton-Flettner-Straße 1-3 · 27472 Cuxhaven · Germany · Freecall 00 800 44 444 555 · www.voco.dental
V-Print
TRUSTED PARTNER All print partner can be found here www.voco.dental/3dprintingpartners

Turn static files into dynamic content formats.

Create a flipbook
Issuu converts static files into: digital portfolios, online yearbooks, online catalogs, digital photo albums and more. Sign up and create your flipbook.