Imaging of Covid 19 infection in children

Page 1

Imaging of Covid 19 infection in children

Dr. Paolo Tomà Head of Imaging Department Bambino Gesù Children’s Hospitals

Background

Classic CXR and CT appearences of COVID-19 described in adults

Literature on chest imaging of children with COVID-19 is limited

CT widely used in adults, & in children in some centres

Children with COVID-19 experience milder illness than adults

• New studies: higher than previously recognized rate of severe illness and MIS-C in pediatric COVID-19

• Infants (< 1yr) more vulnerable to severe infection

of Covid 19 infection
Imaging
in children

Royal College of Physicians. Every breath we take: the lifelong impact of air pollution. Report of a working party. London: RCP, 2016.

3 Imaging of Covid 19 infection in children
Due to immature lung anatomy & developing immune system, pediatric patients are often particularly susceptible

COVID-19 Chest Pediatric Imaging Pubblications

Small sample size

4 Imaging of Covid 19 infection in children Early pandemic
Not radiology journals
Imaging of Covid 19 infection in children 91 ESPR
Journal • Imaging of Covid 19 infection in children • 39%

CT CXR

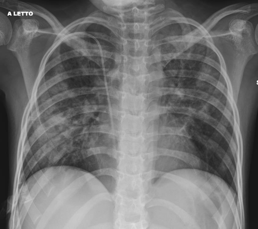
7 Imaging of Covid 19 infection in children
Parameters
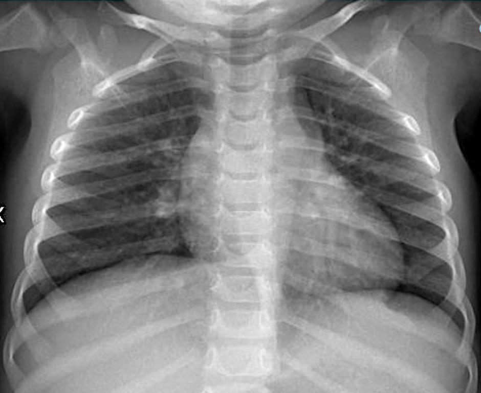
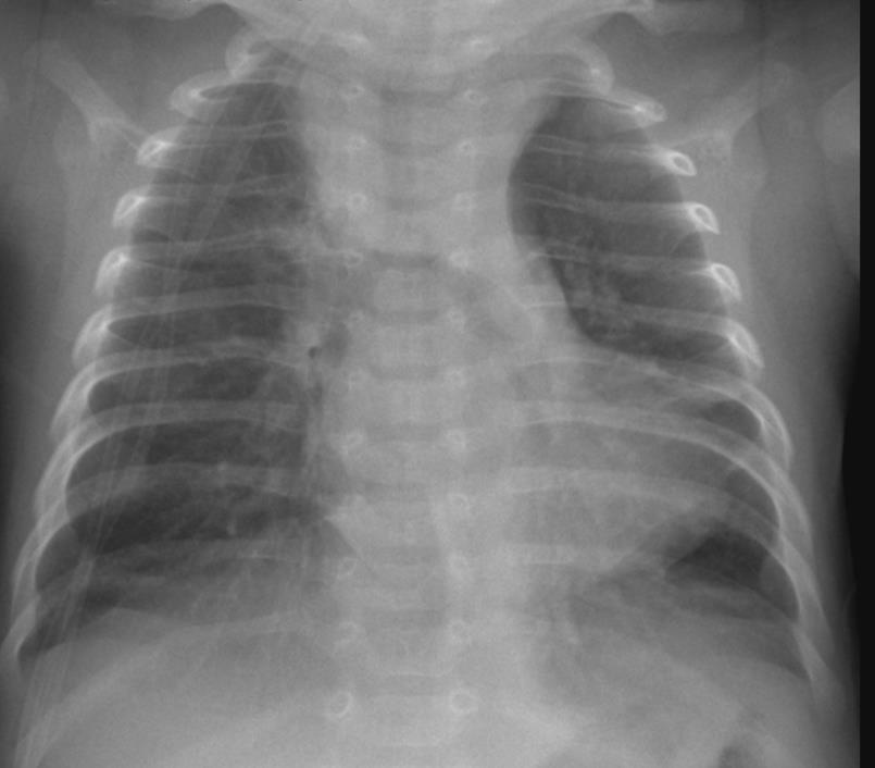
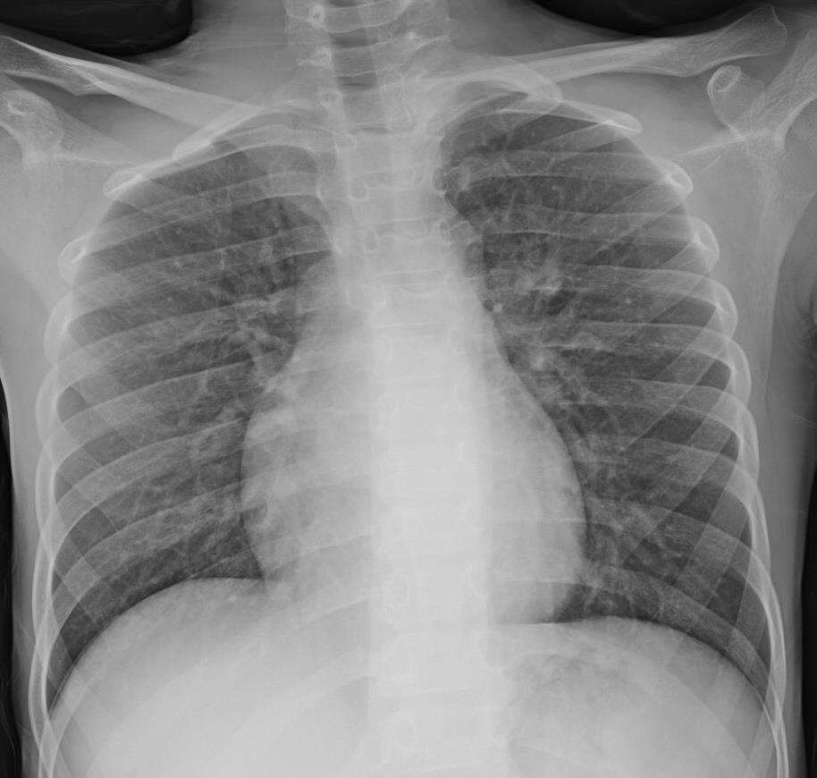
Imaging of Covid 19 infection in children CXR 8 38% 3% 51% 8%

Consolidation 35%

Collapse 3%

PeriBronchial thickening

51%

Hyperexpansion 7%

Effusion 4%

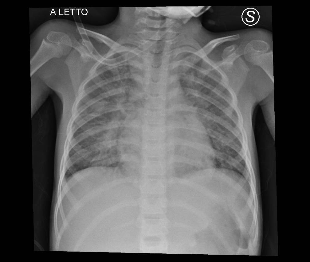
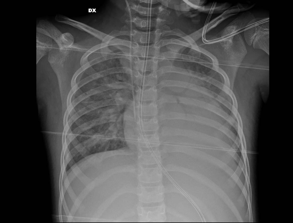
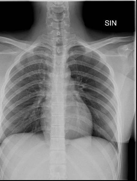
Imaging of Covid 19 infection in children CXR 9 C O V I D
Birmingham
Covid 19 CXR Imaging of Covid 19 infection in children
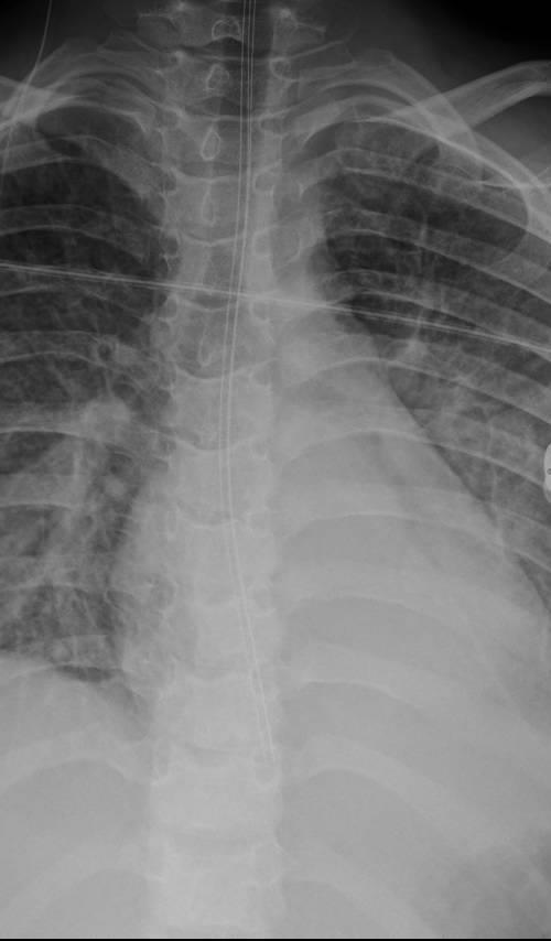
Imaging of Covid 19 infection in children
Imaging of Covid 19 infection in children
Imaging of Covid 19 infection in children
Imaging of Covid 19 infection in Children
Mycoplasma Imaging of Covid 19 infection in children
Imaging of Covid 19 infection in children
Mycoplasma

Chlamydia

Imaging of Covid 19 infection in children
Imaging of Covid 19 infection in children
Imaging of Covid 19 infection in children
Imaging of Covid 19 infection in children

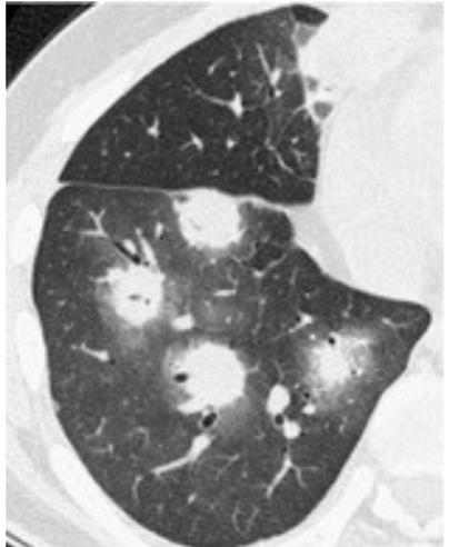
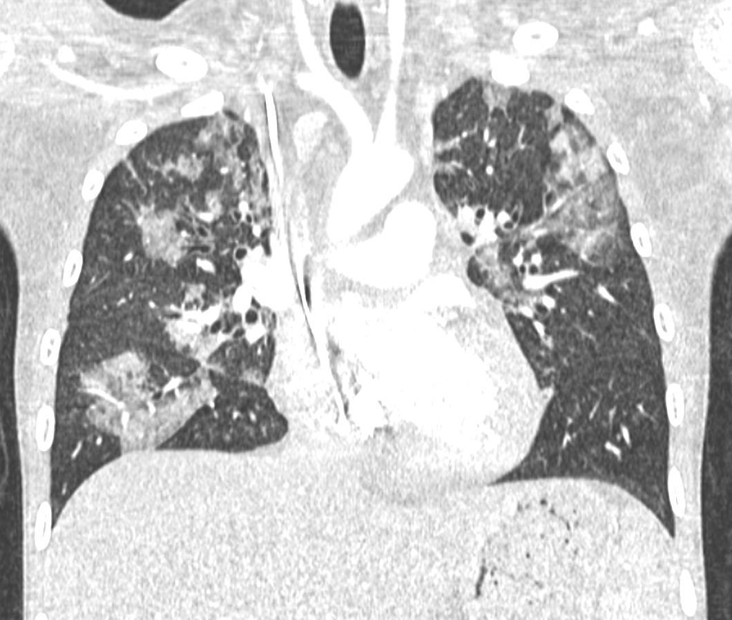
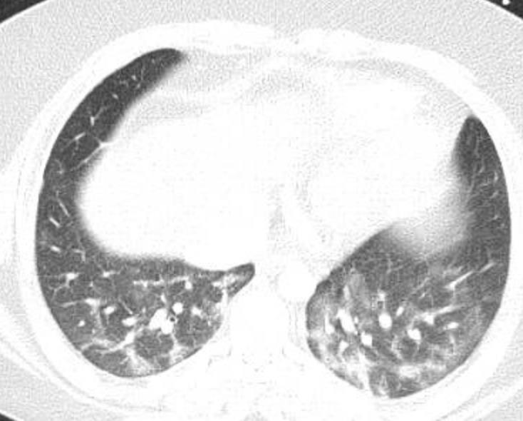
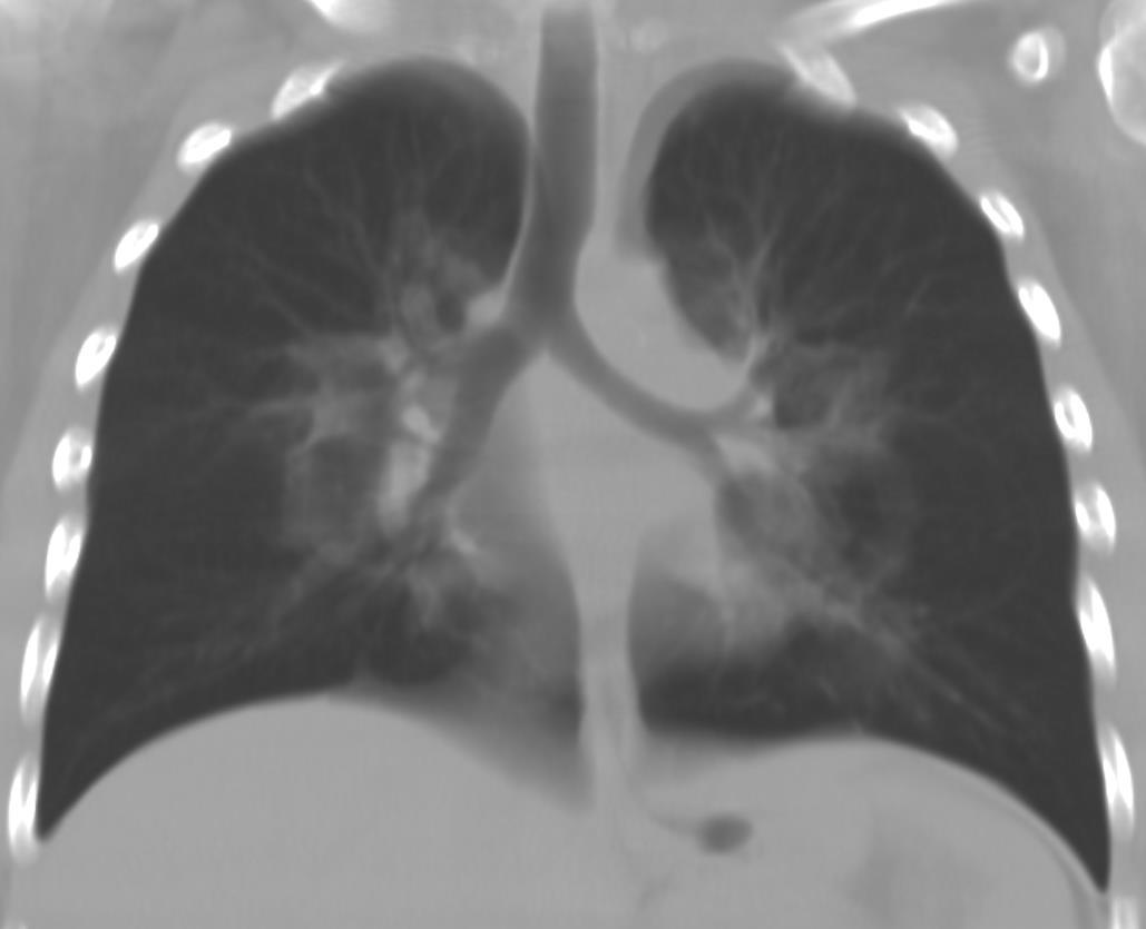
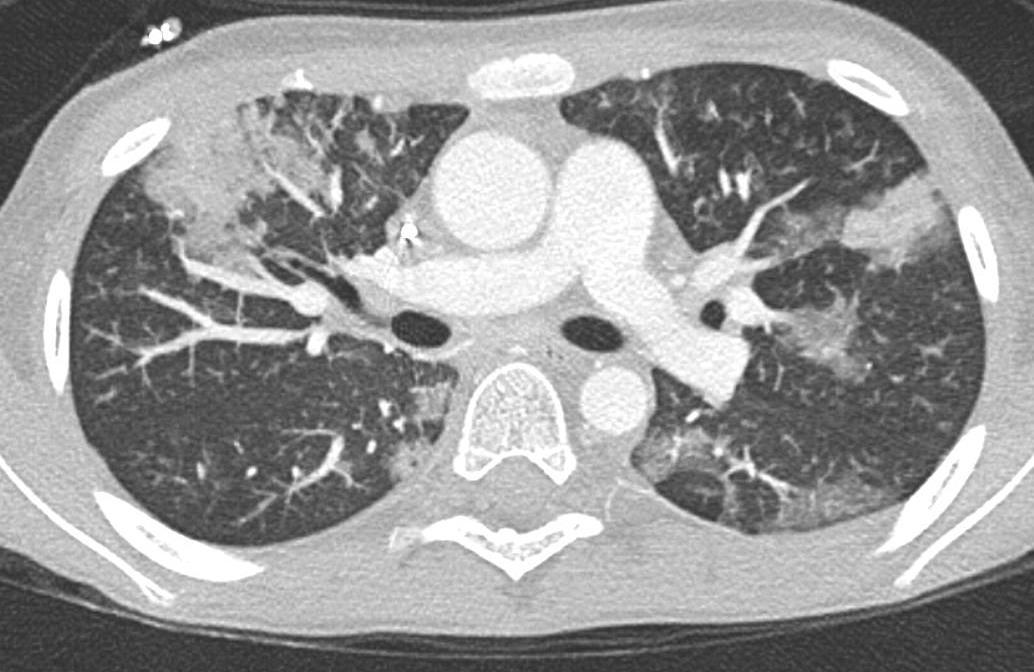
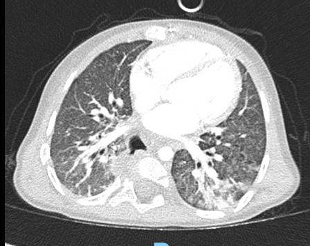
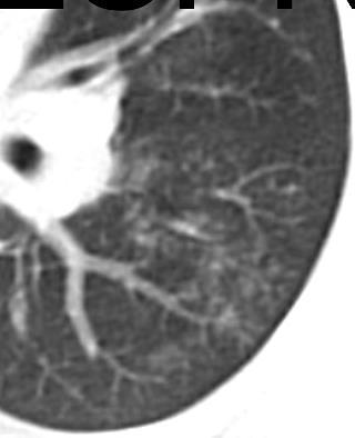
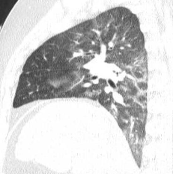
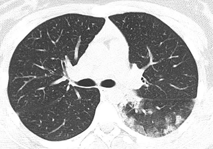
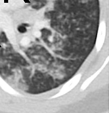
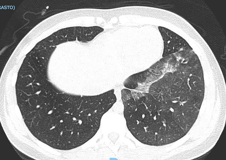
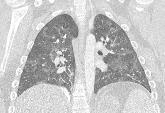
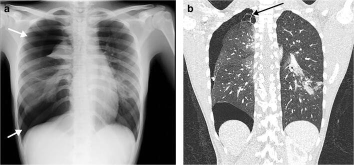
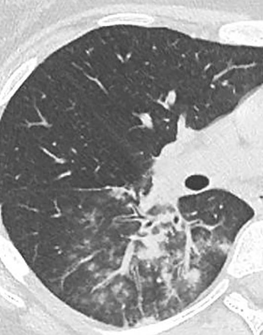
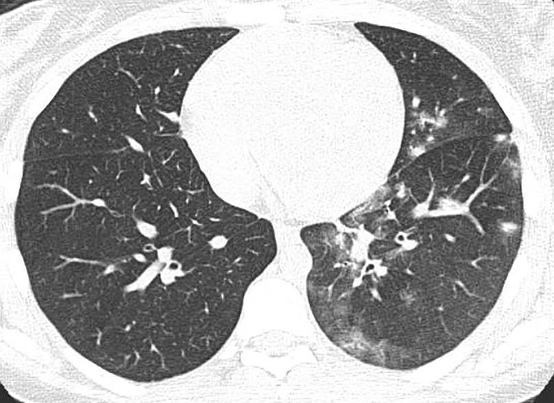
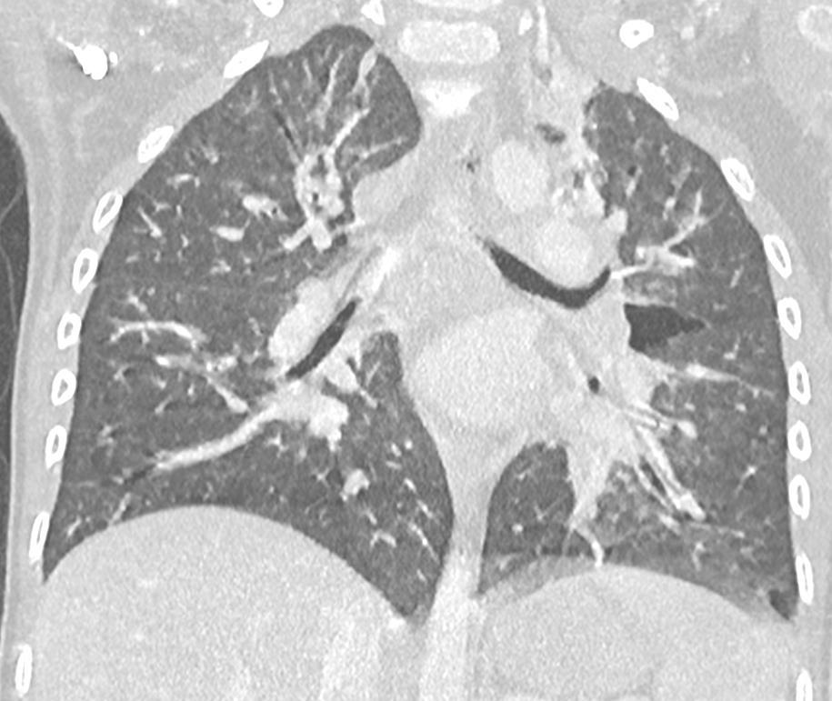
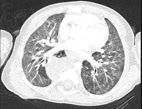
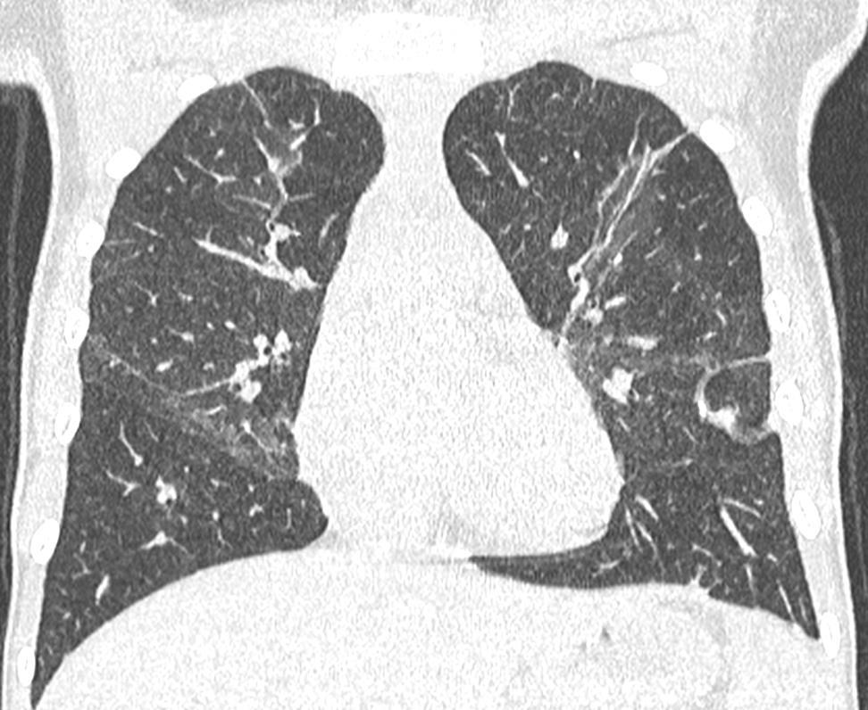
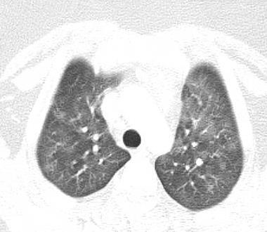
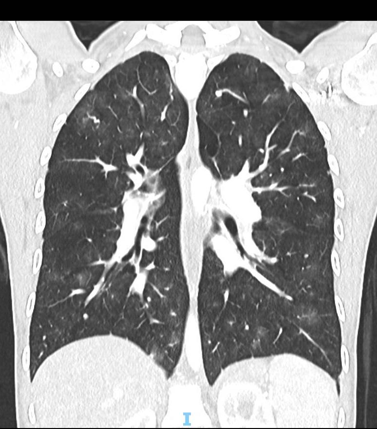
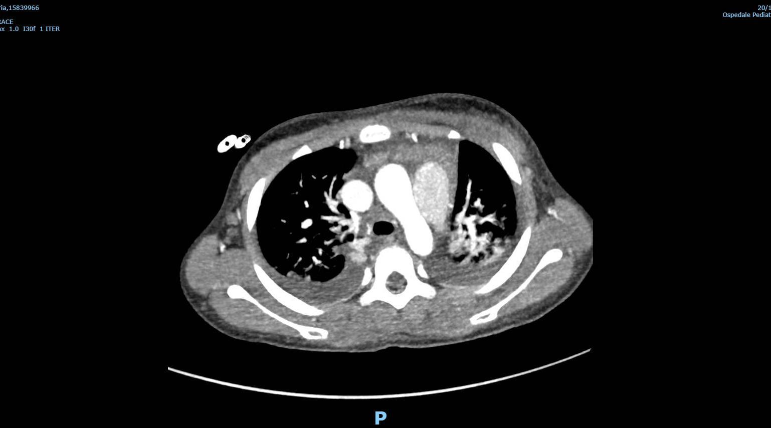
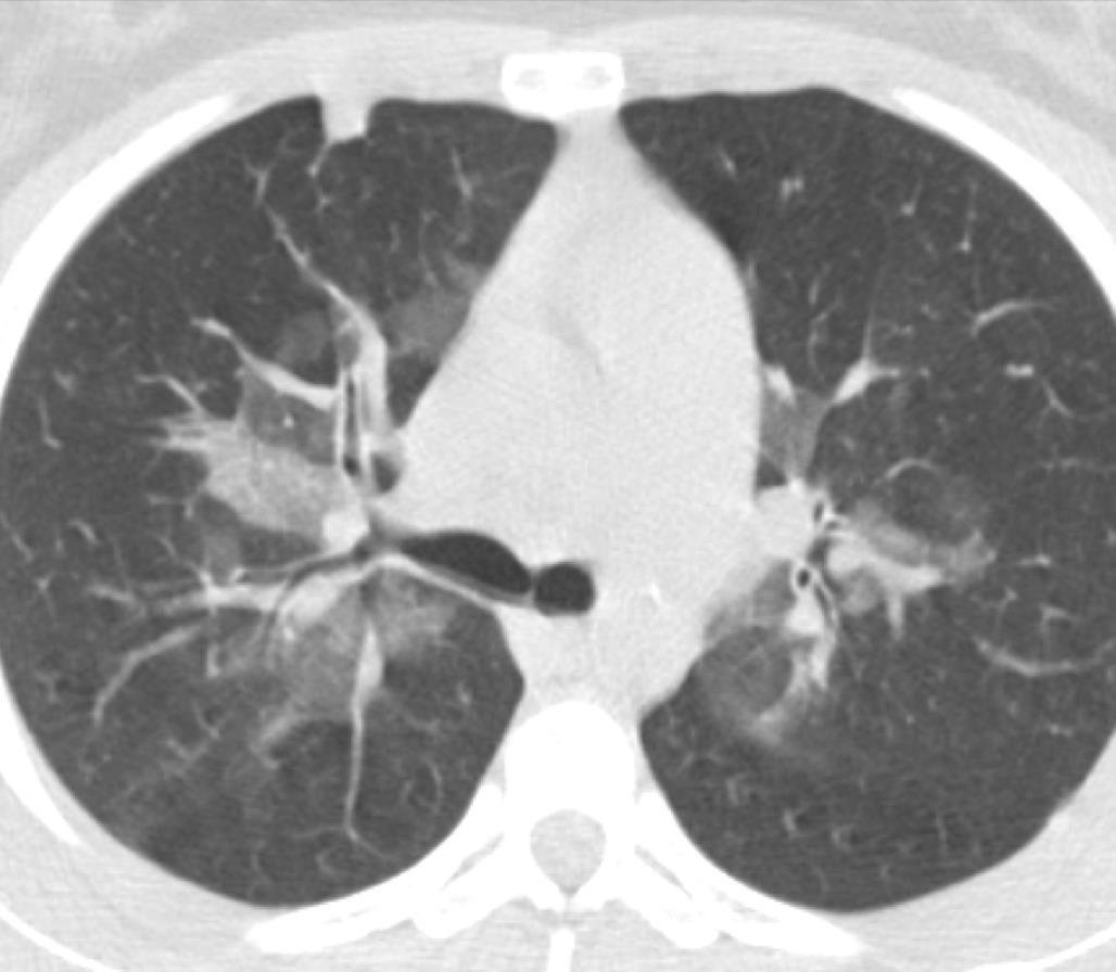
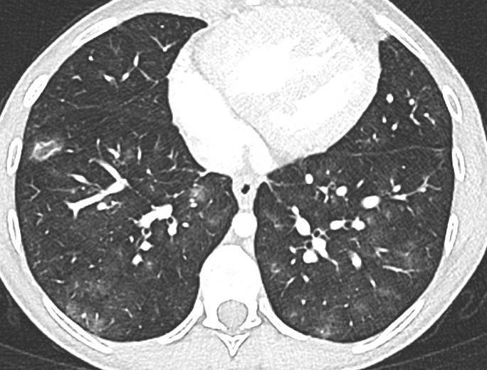
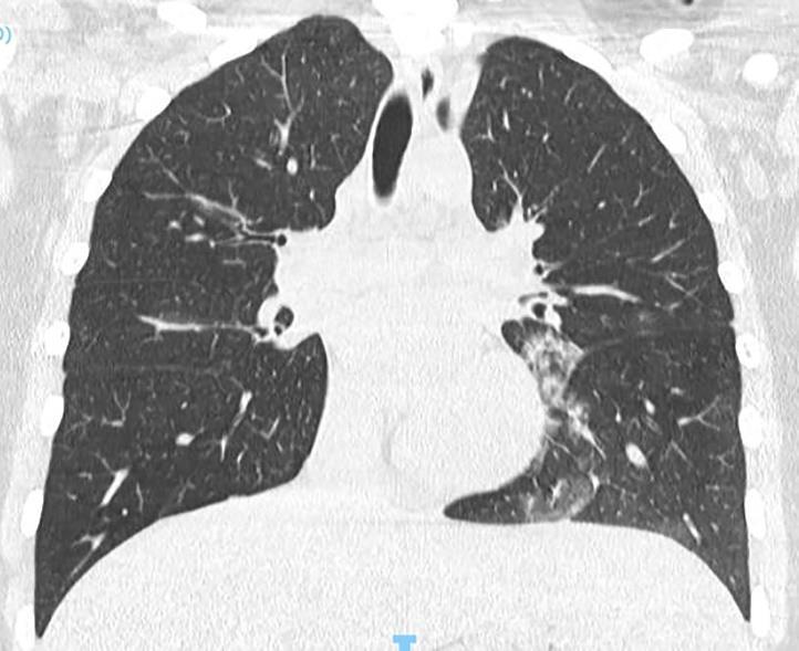
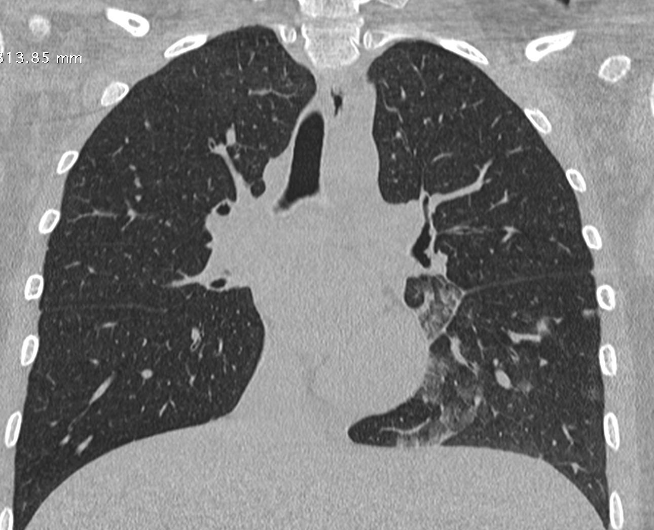
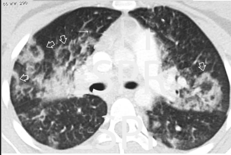
Acute Pediatric COVID-19: CT

21 Imaging of Covid 19 infection in children

3 Phases

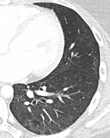
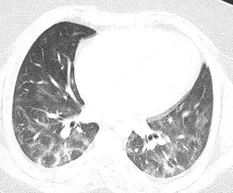
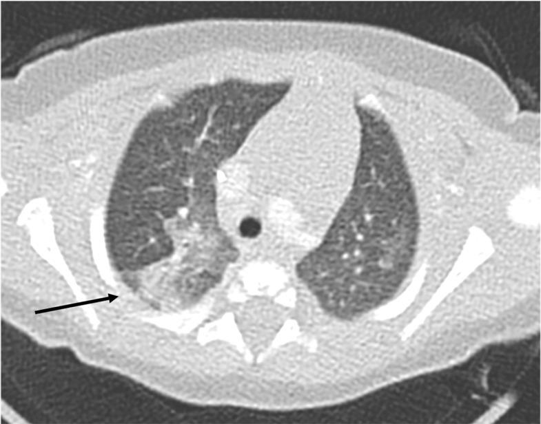
Early: "Halo" sign

Local infection

Progressive: Diffuse GGO

Developed: Consolidation

Surr vasc congestion

Inflammation - adj alveoli

Alveoli fill with fluid/cells

Imaging of Covid 19 infection in children

Early: "Halo" sign

Imaging of Covid 19 infection in children
Local infection Surr vasc congestion
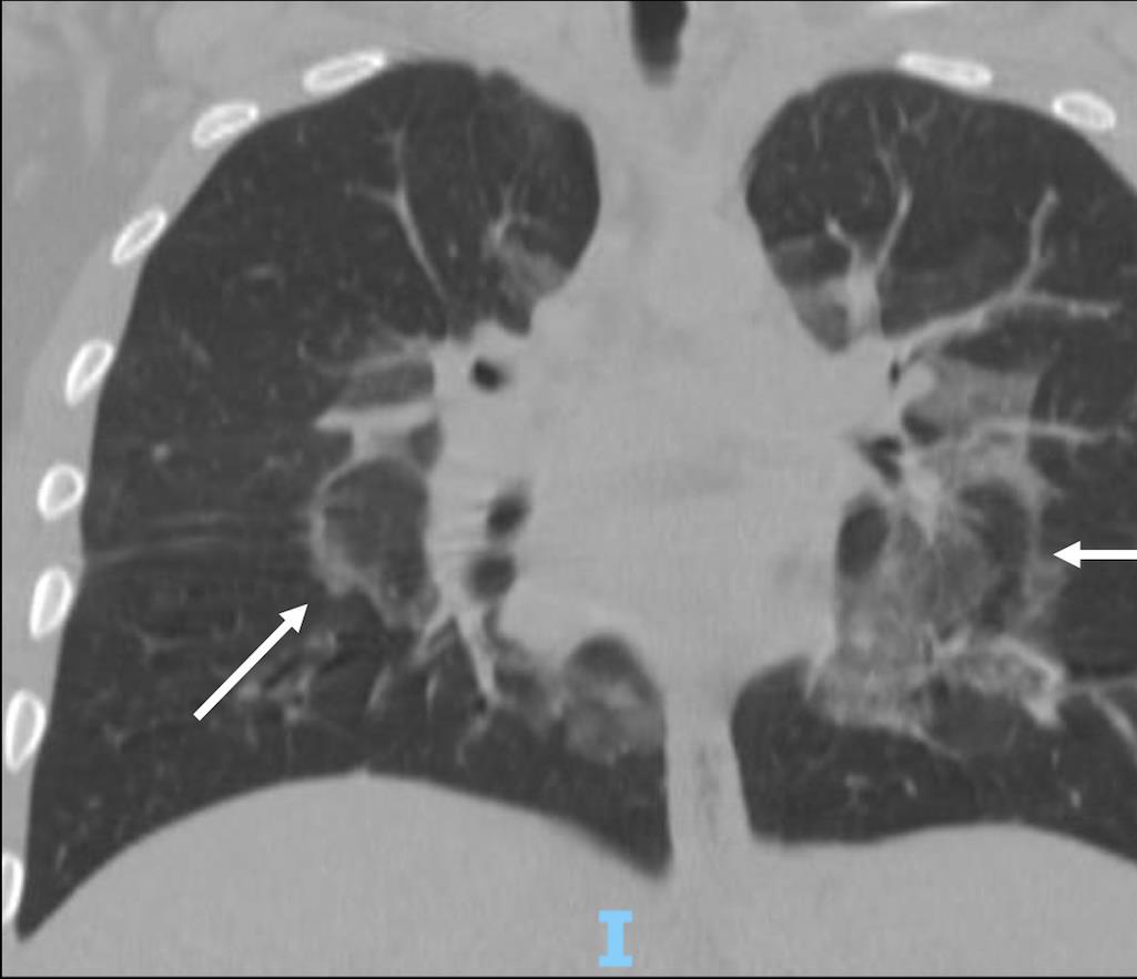
Imaging of Covid 19 infection in children

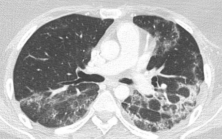
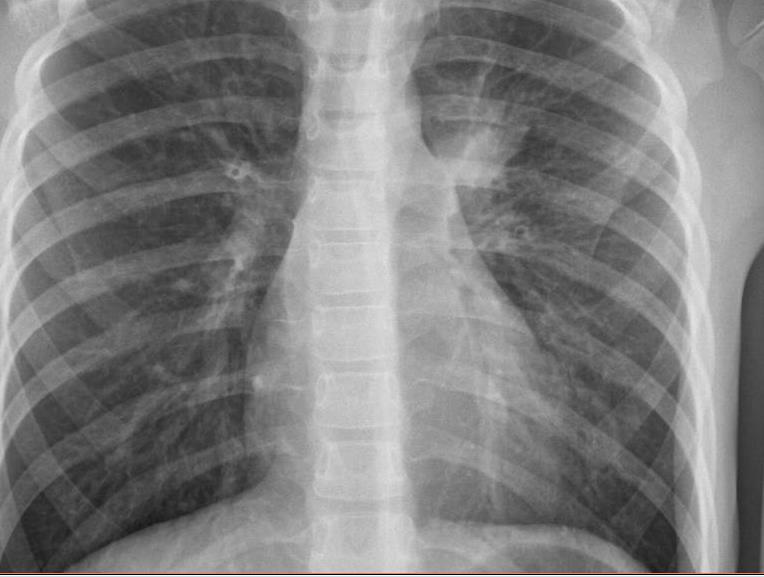
Apicale sinistraa Medio -Basale sinistra

Basale sinistra Basale sinistra

Imaging of Covid 19 infection in children
Imaging of Covid 19 infection in children
Imaging of Covid 19 infection in children

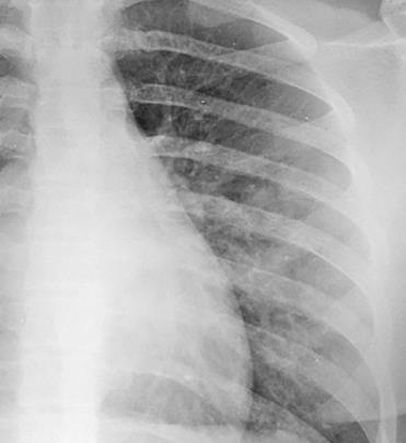
Lung Disorders CXR

COVID 19

• Patchy bilateral GGO, Consolidations or both

• Peripheral and lower lung zone predominance

H1N1

• Bilateral & hyperinflation (early)

• GGO +/- consolidation

• Bilateral, central, & symmetric distribution

EVALI

• Bilateral multifocal GGO consolidation or both

• Lower lung zone predominance

CT

• Bilateral & multifocal GGO, +/Consolidations or both

• Halo sign

• Peripheral and subpleural

• Bronchovascular thickening

• GGO +/- consolidation

• Central lung predominance

Helpful Imaging Features

• Halo sign (Early)

CMV

Adenovirus

• Bilateral & symmetric GGO +/consolidation

• Subpleural sparing

• Atoll sign

• Diffuse

• Consolidation

• GGO

• Nodules

• Multifocal

• Consolidation

• GGO

• Centrilobular Nodules

Varicella zoster virus

• Multifocal

• Surrounding halo GGO

• 1–10 mm (in late phase, calcification)

Influenza

• Hyperinflation

• Bronchovascular thickening (early)

• GGO +/- consolidation (later)

• Central

• Subpleural spacing

• Atoll sign

RSV

• Airway, multifocal

• Consolidations

• GGO

• Nodules

• Bronchial Wall Thickening

• Airway, multifocal

• Centrilobular Nodules

• Bronchial Wall Thickening

31 Titolo Presentazione
Imaging of Covid 19 infection in children

Lung Disorders CXR CT Helpful Imaging Features

COVID 19

• Patchy bilateral GGO, Consolidations or both

• Bilateral & multifocal GGO, +/Consolidations or both

• Halo sign (Early)

COVID 19

H1N1

EVALI

CMV

Adenovirus

Varicella zoster virus

Influenza

RSV

• Peripheral and lower lung zone predominance

• Bilateral & hyperinflation (early)

• GGO +/- consolidation

• Patchy bilateral GGO, Consolidations or both

• Bilateral, central, & symmetric distribution

• Bilateral multifocal GGO consolidation or both

• Lower lung zone predominance

• Peripheral and lower lung zone predominance

• Halo sign

• Peripheral and subpleural

• Bronchovascular thickening

• GGO +/- consolidation

• Central lung predominance

• Bilateral & multifocal GGO, +/Consolidations or both

• Halo sign

• Bilateral & symmetric GGO +/consolidation

• Halo sign (Early)

• Hyperinflation

• Bronchovascular thickening (early)

• GGO +/- consolidation (later)

• Central

• Subpleural spacing

• Atoll sign

• Subpleural sparing

• Atoll sign

• Peripheral and subpleural

• Diffuse

• Consolidation

• GGO

• Nodules

• Multifocal

• Consolidation

• GGO

• Centrilobular Nodules

• Multifocal

• Surrounding halo GGO

• 1–10 mm (in late phase, calcification)

• Airway, multifocal

• Consolidations

• GGO

• Nodules

• Bronchial Wall Thickening

• Airway, multifocal

• Centrilobular Nodules

• Bronchial Wall Thickening

32 Titolo Presentazione Lung
CXR CT Helpful Imaging Features
Disorders
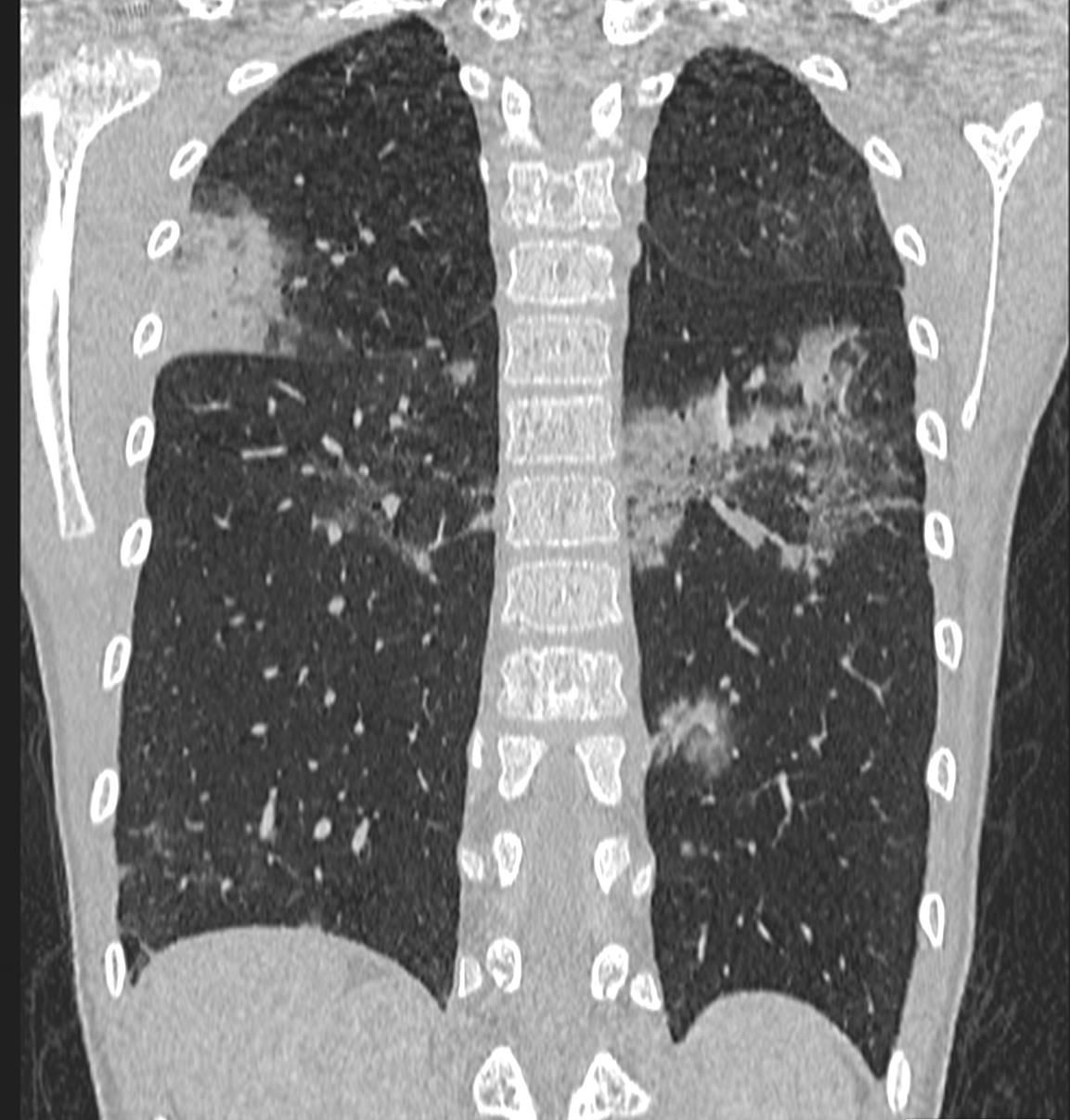
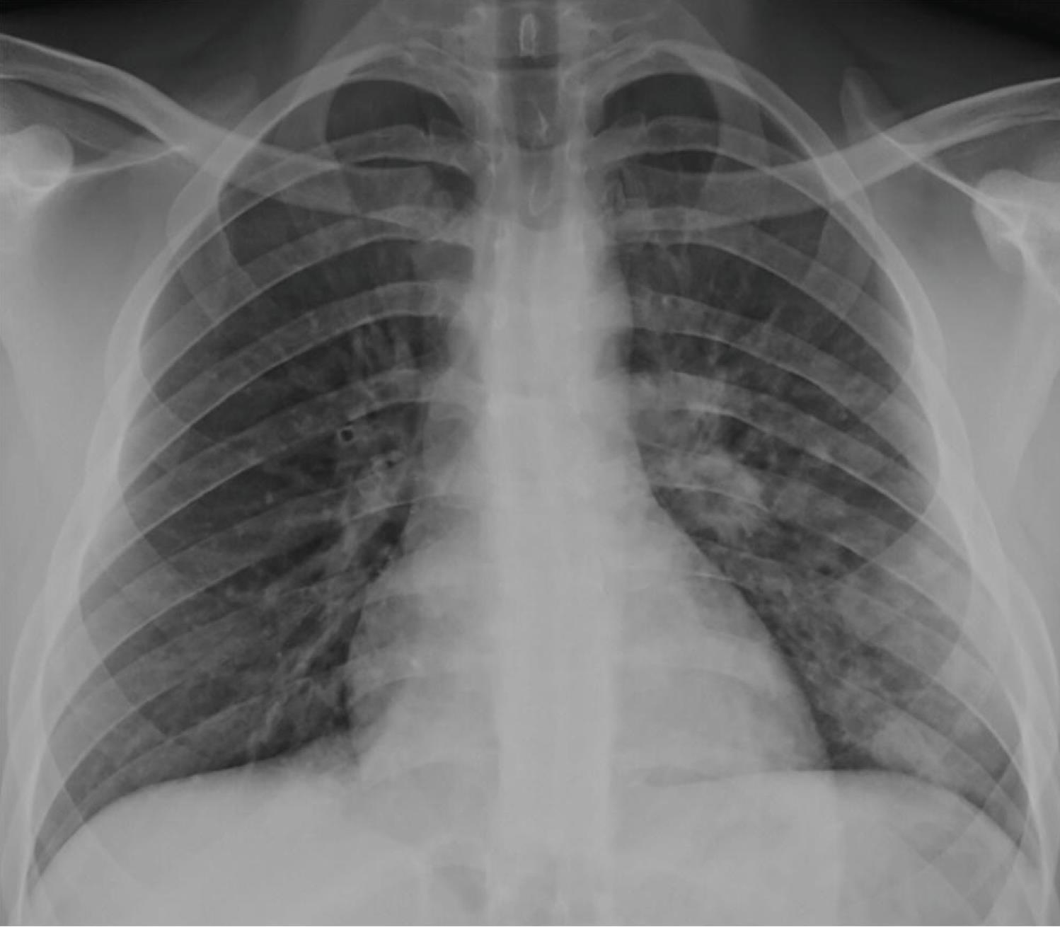
33 Imaging of Covid 19 infection in children
34
Imaging of Covid 19 infection in children
Imaging of Covid 19 infection in children COVID 19 Late
Late
37
Late

Lung Disorders CXR

COVID 19

• Patchy bilateral GGO, Consolidations or both

• Peripheral and lower lung zone predominance

EVALI

CT

• Bilateral & multifocal GGO, +/Consolidations or both

• Halo sign

• Peripheral and subpleural

• Bilateral multifocal GGO consolidation or both

• Lower lung zone predominance

H1N1

• Bilateral & symmetric GGO +/- consolidation

• Subpleural sparing

• Atoll sign

Helpful Imaging Features

• Halo sign (Early)

CMV

• Bilateral & hyperinflation (early)

• GGO +/consolidation

• Bilateral, central, & symmetric distribution

• Bronchovascular thickening

• GGO +/- consolidation

• Central lung predominance

• Subpleural spacing

• Atoll sign

• Diffuse

• Consolidation

• GGO

• Nodules

• Hyperinflation

• Bronchovascular thickening (early)

• GGO +/consolidation (later)

• Central

Titolo Presentazione
Imaging of Covid 19 infection in children

EVALI

E-cigarette, or Vaping, product use–Associated Lung Injury

Imaging of Covid 19 infection in children
BOOP
H1N1
CMV Covid 19 Imaging of Covid 19 infection in children
PCP
Rhinovirus

Lung

COVID 19

• Patchy bilateral GGO, Consolidations or both

• Peripheral and lower lung zone predominance

Adenovirus

Helpful Imaging Features

• Bilateral & multifocal GGO, +/Consolidations or both

• Halo sign

• Peripheral and subpleural

• Multifocal

• Consolidation

• GGO

• Centrilobular Nodules

Varicella

zoster virus

• Multifocal

• Surrounding halo GGO

• 1–10 mm (in late phase, calcification)

Influenza

• Halo sign (Early)

RSV

• Airway, multifocal

• Consolidations

• GGO

• Nodules

• Bronchial Wall Thickening

• Airway, multifocal

• Centrilobular Nodules

• Bronchial Wall Thickening

Titolo Presentazione
Disorders CXR CT
Imaging of Covid 19 infection in children

ADENOVIRUS

Bronchiolar and alveolar damage

Chickenpox

47
Imaging of Covid 19 infection in children
6 RSV Imaging of Covid 19 infection in children
49 Bocavirus

Pediatric COVID-19: MIS-C (Multisystem inflammatory syndrome –Covid)

• Serious condition where different body parts can be inflamed

• Characterized by severe, febrile inflammatory illness

• Elevated inflammatory markers

• "Cytokine storm

• 2 - 4 weeks after infection or exposure

• 80 - 100% + SARS-CoV-2 antibodies

• School-age children

Imaging of Covid 19 infection in children

Inflammatory Syndrome in Children in the Context of Global SARS

CoV-2 Pandemic, Volume: 142, Issue: 5, Pages: 429-436, DOI: (10.1161/CIRCULATIONAHA.120.048360)

© 2020 American Heart Association, Inc.

Imaging of Covid 19 infection in children
COVID-19: phases of illness Siddiqi HK et al Journal of Heart and Lung Trasplantation DOI:10.1016/j.healun.2020.03.012 Imaging of Covid 19 infection in children

CF ARDS Emboli

MIS-C Main signs

Imaging of Covid 19 infection in children

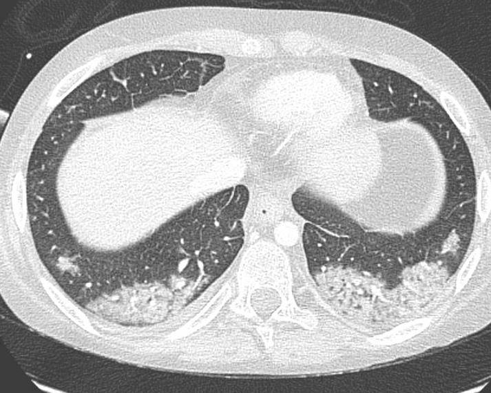
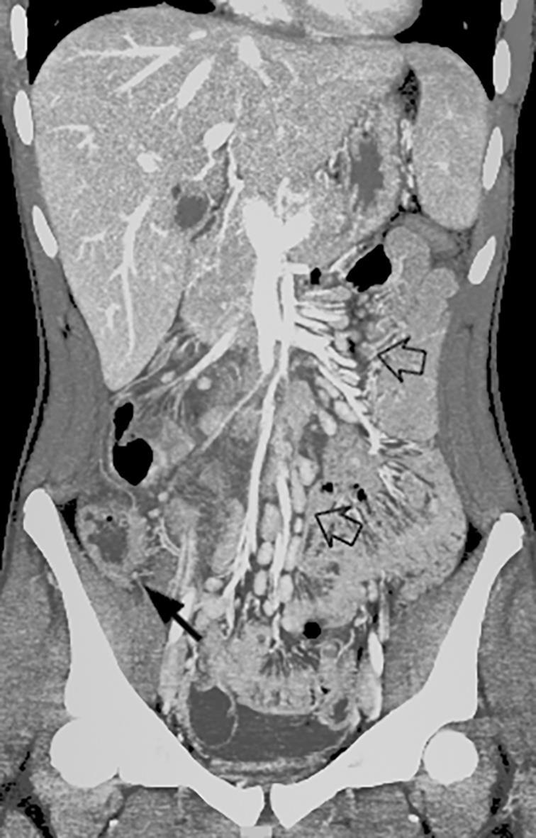
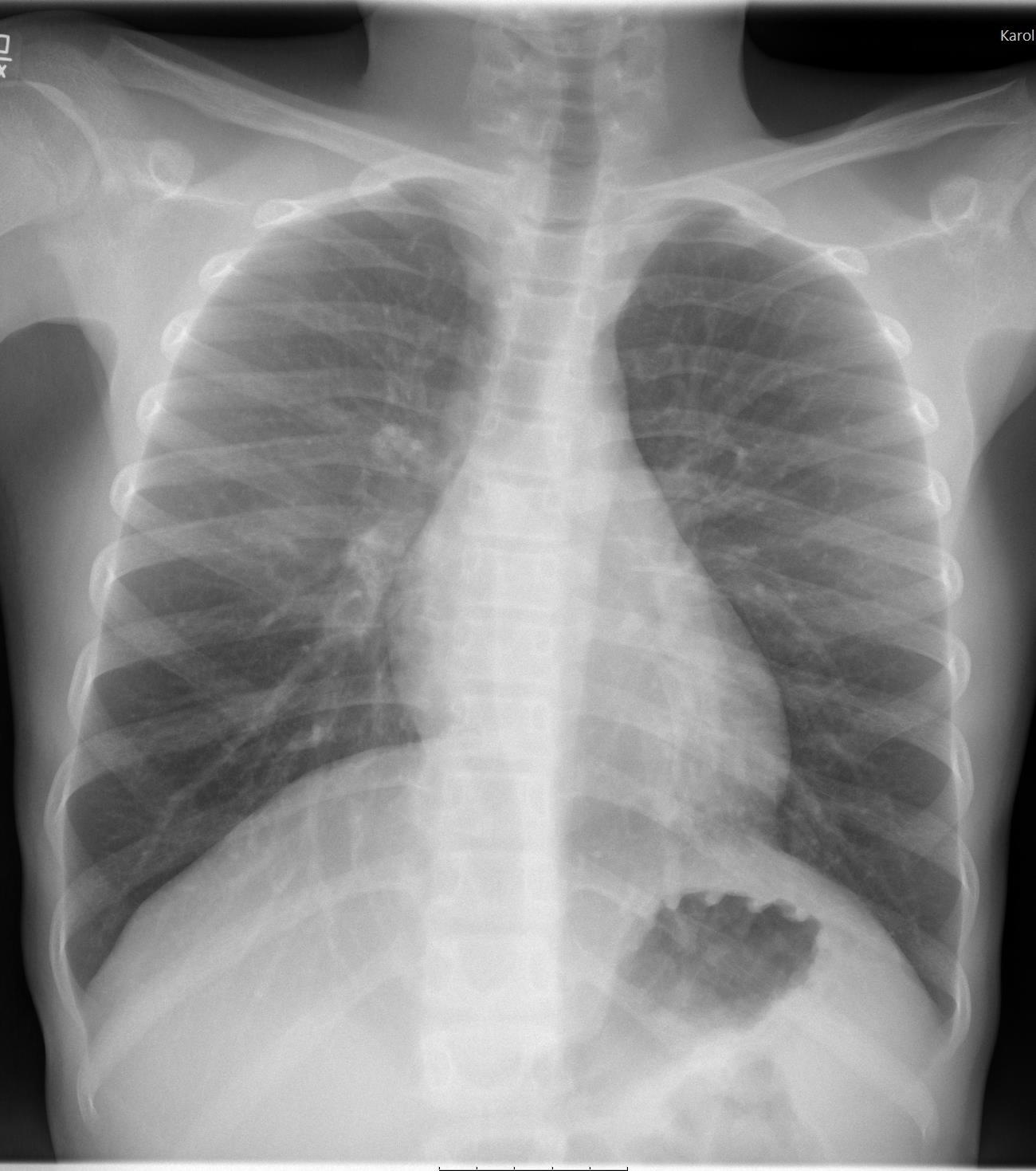
Pediatric COVID-19: MIS-C

Thoracic abnormalities

Cardiovascular abnormalities

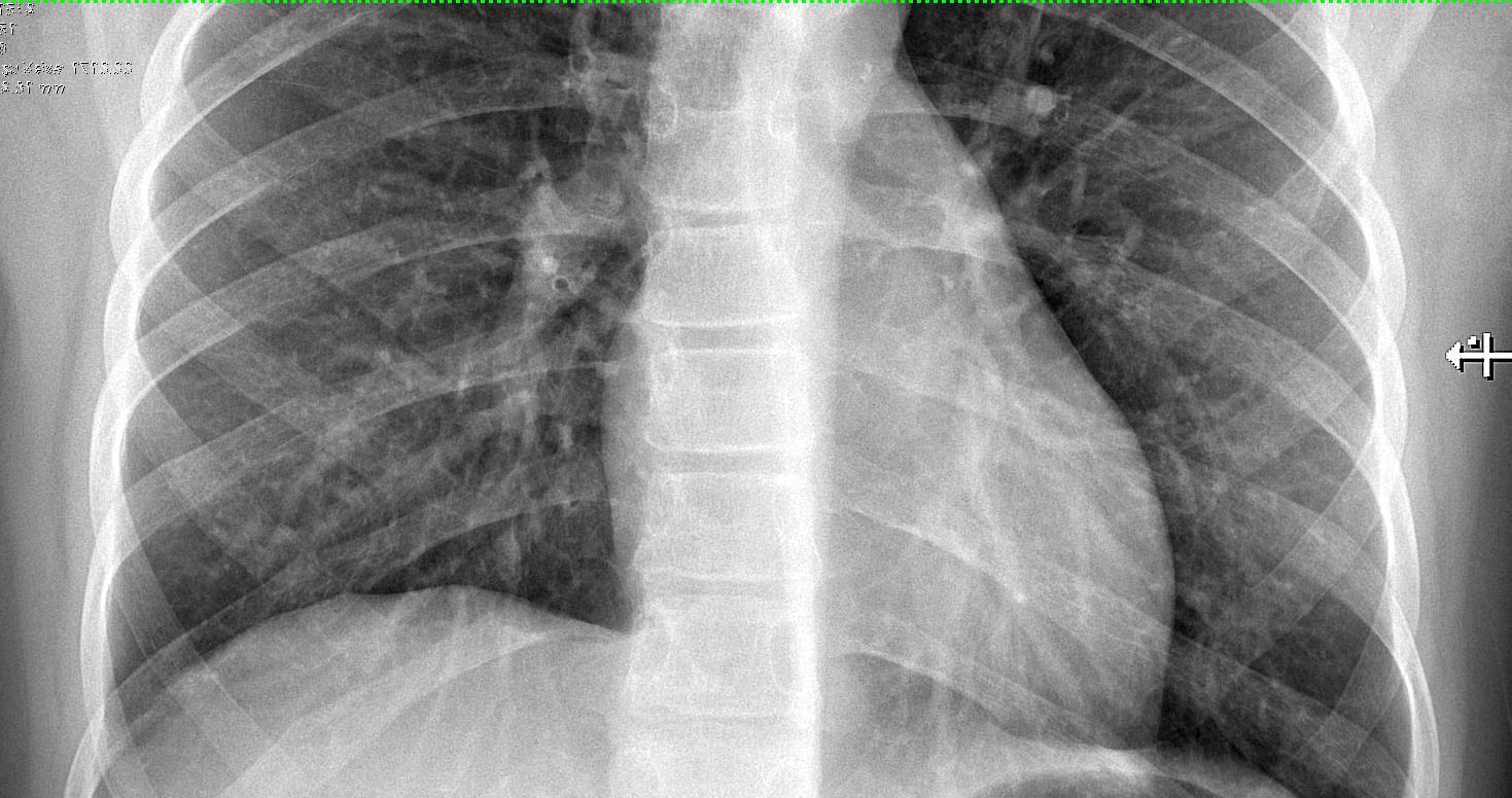
Cardiomegaly

CHF or cardiogenic edema

Pulmonary parenchymal abnormalities

Lower lobe atelectasis

Bilateral opacities( ARDS)

Consolidation

Pleural abnormalities

Small pleural effusion

Mediastinal and hilar lymphadenopathy

Abdominal abnormalities

Solid viscera abnormalities

Hepatomegaly

Echogenic kidneys

Splenomegaly

Hollow viscera abnormalities

Gallbladder wall thickening

Bowel wall thickening

Bowel dilation

Gastric distention

Urinary bladder thickening

Peritoneal abnormalities

Small ascites

Mesenteric abnormalities

Mesenteric lymphadenopathy

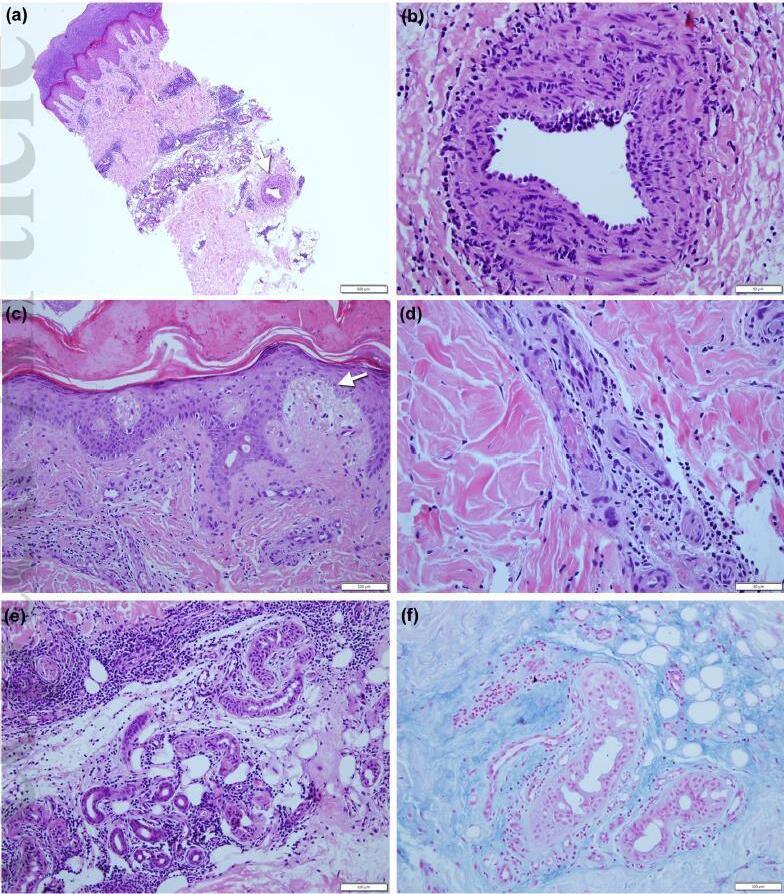
54 Imaging of Covid 19 infection in children

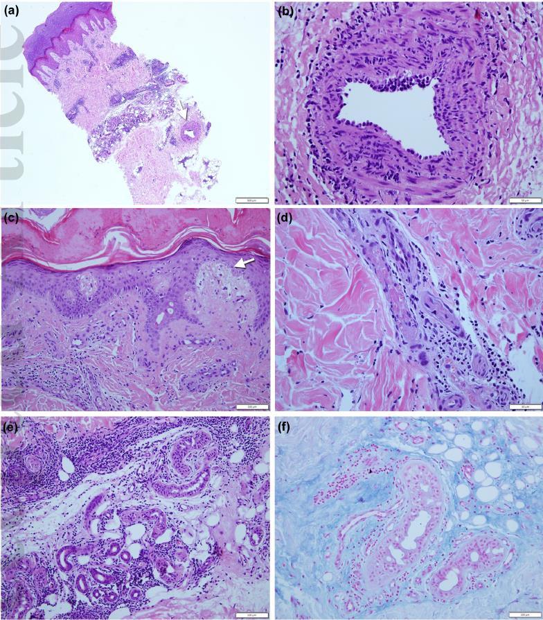
Intramural lymphocytic infiltrate

Chilblain-like lesions

19 cases

El Hachem JDV 2020

Perineural dermal inflammatory infiltrate

Thrombus

57

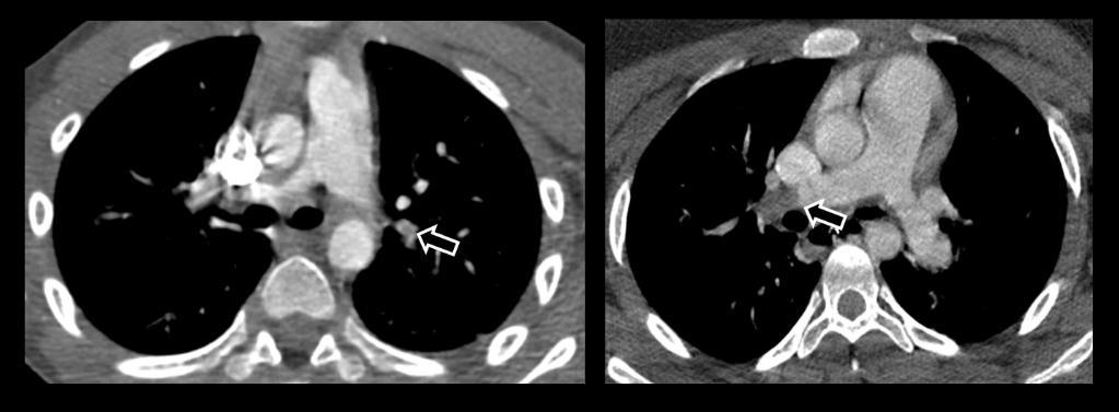
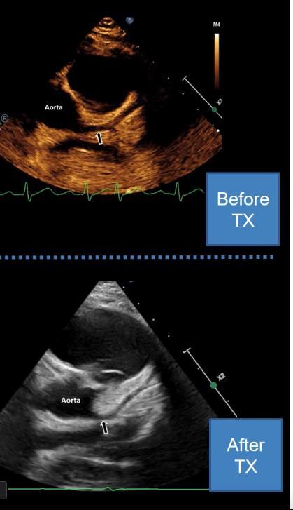
MIS-C Embolism

Imaging of Covid 19 infection in children

MIS-C: Heart failure

60 Embolus Imaging of Covid 19 infection in children
MIS-C
61
Imaging of Covid 19 infection in children

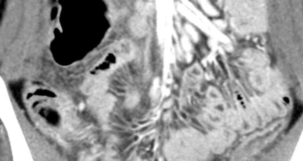
• Gastrointestinal (GI) symptoms (abdominal pain, diarrhoea and vomiting) are prevalent in MIS-C

• Abdominal pain in 62%

• Up to 90% any GI symptom

• Anumber of studies have described abdominal imaging findings including ascites, bowel wall thickening and mesenteric lymphadenopathy

62
MIS-C
Imaging of Covid 19 infection in children
Imaging of Covid 19 infection in children
Imaging of Covid 19 infection in children

Pediatric COVID-19

OUTCOME
Imaging of Covid 19 infection in children

Relapsing Polychondritis

Imaging of Covid 19 infection in children

Turn static files into dynamic content formats.

Create a flipbook
Issuu converts static files into: digital portfolios, online yearbooks, online catalogs, digital photo albums and more. Sign up and create your flipbook.