The project is being implemented with the support of UNICEF Ukraine and with financial support from the Government of Norway.

Implemented by: Partner:




The project is being implemented with the support of UNICEF Ukraine and with financial support from the Government of Norway.
Implemented by: Partner:
Dott.ssa Caterina Delia
Physical medicine and rehabilitation (PM&R)
physician
DH Neuroriabilitazione e Attivit‡ Sportiva Adattata
OPBG-Palidoro
Scoliosis is a multiplanar deformity characterized by a spinal curvature of at least 10 in the coronal plane, accompanied by vertebral rotation in the transverse plane.
Neuromuscular scoliosis refers to spinal deformities resulting from central neurological causes, miopathies or disorders affecting the upper or lower motor neurons.
Neuromuscular scoliosis
Pathophysiology
• MUSCULAR WEAKNESS • PARALYSIS • POOR MOTOR CONTROL • SPASTICITY
o Scoliosis screening is commonly performed using the Adams forward bend test in conjunction with a scoliometer.
o A measurement exceeding 7 generally warrants referral for further evaluation.
Neuromuscular scoliosis: clinical assessment
STATIC EXAMINATION
Hyper or hypotonia/joint stiffness
Hip range of motion/asymmetric hip stiffness
Asymmetry in seated posture/pelvic obliquity
DINAMIC EXAMINATION
Dynamic trunk examination
Posteroanterior (PA) and Lateral radiographs are the standard imaging modalities for evaluating scoliosis
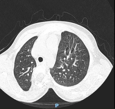
Computed tomography (CT) preoperative planning, identifying congenital vertebral anomalies, or evaluating suspected neoplastic lesions.
Magnetic resonance imaging (MRI) early-onset scoliosis, or in cases of atypical progression, pain, or as part of surgical planning.
Physical therapy
Bracing
Aids
Radiographic follow up
Observation: < 25
X-Ray: every 3-6 months
Sotos syndrome, CP, severe scoliosis
Neuromuscular scoliosis: Case 1
• August 2020
Hospitalizaton due to the presence of a dorsal fluid collection and elevated inflammatory markers.
MRI: posterior cervicodorsal abscess extending from the skin to the level of the spinal fixation
screw September 2020 surgical revision
• May 2021
Re evaluation with orthopedic surgeon.
Introduction
Neuromuscular scoliosis: Case 2
Female, 8 yrs
Multiple congenital malformation syndrome, likely resulting from congenital varicella. Malformations of the left upper limb and right lower limb. Scoliosis. Poor statural and weight growth. PEG-dependent.
Rehabilitation treatment:
- 3 physiotherapy treatment per week
- 1 speech therapy per week
Orthosis/Aids:
- Nancy Hilton orthosis
- Night-time positioning splint for the left hand and wrist
- Milwakee brace
- Cough machine
THANKS FOR THE ATTENTION
Il presente documento Ë stato elaborato da Ospedale Pediatrico Bambino Ges˘
I contenuti sono strettamente riservati; Ë vietata la riproduzione e la divulgazione, anche solo parziale, senza il benestare scritto di Ospedale Pediatrico Bambino Ges˘.