7_Delia_Spasticity Clinical Cases

Page 1


The project is being implemented with the support of UNICEF Ukraine and with financial support from the Government of Norway.

Implemented by: Partner:

Dott.ssa Caterina Delia

Physical medicine and rehabilitation (PM&R)

physician

DH Neuroriabilitazione e Attivit‡ Sportiva Adattata

OPBG-Palidoro

SPASTICITY

CLINICAL CASES

Spasticity - Clinical Cases

• Case 1

Ultrasound-guided focal treatment with botulinum toxin in the lower limb after walking’s video evaluation

• Case 2

Ultrasound-guided focal treatment with botulinum toxin in the upper limb

Introduction Clinical evaluation

OBSERVATION

- Signs of contractures, posture, hip subluxation, primitive reflexes

! PAY ATTENTION ! if noxious stimulation or discomfort can increase spasticity e.g pain

STATIC EVALUATION

DYNAMIC EVALUATION

- Range of motion evaluation (pROM e aROM) - Trunk control sitting, posture evaluation

- Thomas test - Functions of the upper limb (reaching, grasping - Silfverskiold test AVQ)

- Hip internal rotation/Hip external rotation - Gait (with/without orthosis and aids)

- Hip abduction with kneee extended/ knee flexed

- Popliteal angle

- Pendulum Test/Ely Test

Popliteal angle
Pendulum Test
Ely Test
Silfevrskiold Test

Decision Making Process for pediatric spasticity management

No standard approach exist !

• Timing of spasticity management

-Physical therapy and rehabilitation

-Chemoneurolysis BTX after 2 years of age

-Phenol and alcohl are less popular

-Ortopedic surgery (4 yrs or older)

-Selective Dorsal Rhyzotomy (DR) for around 4-5 yrs old with dyplegia and severe spasticity

- ITB pump

• Focal spasticity versus diffuse:

If spasticity is focal, BTX is recommended. For diffuse spasticity, oral antispastic drugs or single event multilevel

chemonerolysis with BTX or Phenol alcool blocks are considered

Botulinum Toxin in the Management of Children with Cerebral Palsy

GOALS OF SPASTICITY MANAGEMENT

 The evaluation is therefore based on the achievement, or otherwise, of a specific objective.

 The paradigm of the GAS scale does not allow a clinical evaluation focused specifically on spasticity

 It’s an indicator of the symptoms, behaviours and abilities, shared with the patient and/or the caregiver

Ultrasound-guided focal treatment with botulinum toxin in the lower limb after walking’s video evaluation

Female, 4 Yrs

Brain MRI: ”Widespread signal alteration of the left hemispheric deep white matter, in particular of the semioval centers with extension in the perirolandic area of the posterior arm of the internal capsule ipsilaterally.”

Right hemiparesis, speech disorder

Rehabilitation treatment:

- 2 physiotherapy treatment per week

- 2 speech therapy per week

Ultrasound-guided focal treatment with botulinum toxin in the lower limb after walking’s video evaluation

Case 1

Ultrasound-guided focal treatment with botulinum toxin in the lower limb after walking’s video evaluation

EVALUATION PRE-TREATMENT

 Possible transfers on their own with orthoses (CAMO on the right leg)

 Without orthosis, supinated foot flight and knee flexion with reduced activation of the tibiotarsal joint can be observed in the flight phase

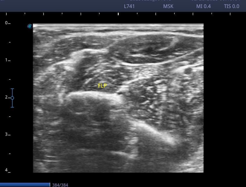
 After viewing the video recording and joint discussion with the dedicated motor physiotherapist, it is decided to inoculate the Semitendinosus muscle (25 UI)

Case 1

Ultrasound-guided focal treatment with botulinum toxin in the lower limb after walking’s video evaluation

Ultrasound-guided focal treatment with botulinum toxin in the lower limb after walking’s video evaluation

EVALUATION POST-TREATMENT

 After the treatment with botulinum toxin, it is observed a smoother gait pattern and a better coordination, with a reduction of knee’s flexion in stance phase

 With regard to the orthosis, it is agreed to replace the carbon fibre bar with a less elastic one in order not to strain the ischiocrural muscles

Case 2

Ultrasound-guided focal treatment with botulinum toxin in the upper limb

Male, 15 yrs

• Rehabilitation treatment: 3 physiotherapy sessions per week + stretching performed at home Sport: swimming (during the summer)

• Schooling: First year of high school with good profit.

Perinatal distress resulting in a right hemiparesis with a spastic-dystonic pattern

Since 2019 he has been followed at our toxin clinic for focal treatment of the right upper limb

Case 2

Ultrasound-guided focal treatment with botulinum toxin in the upper limb

At rest L R pROM MAS (Modified Ashworth scale)

Shoulder - -

Elbow Extended, Pronated forearm

Flexion: +140

Extension: 0

Elbow extensors: 3 Pronator Teres: 2

Wrist Flexed 15 NN Wrist flexors: 1

Fingers Flexed PIP joints

Flexion: NN Extension: 0 PIP: 3

Thumb Flexed (IJ),in palm

Flexion: NN Extension: 0 FPL: 3

Ultrasound-guided focal treatment with botulinum toxin in the upper limb

WHAT GOALS HAVE WE SET ?

Ultrasound-guided focal treatment with botulinum toxin in the upper limb

WHAT GOALS HAVE WE SET ?

 Decreased “stiffness” of the right upper limb with improved posture at rest and during walking (Imp 3,Diff 1)

 Improved autonomy in dressing (Imp 3, Diff 2)

 Improving the integration of the affected limb in activities of daily living (Imp 3, Diff 3)

Case 2

Ultrasound-guided focal treatment with botulinum toxin in the upper limb

Case 2

Ultrasound-guided focal treatment with botulinum toxin in the

upper limb

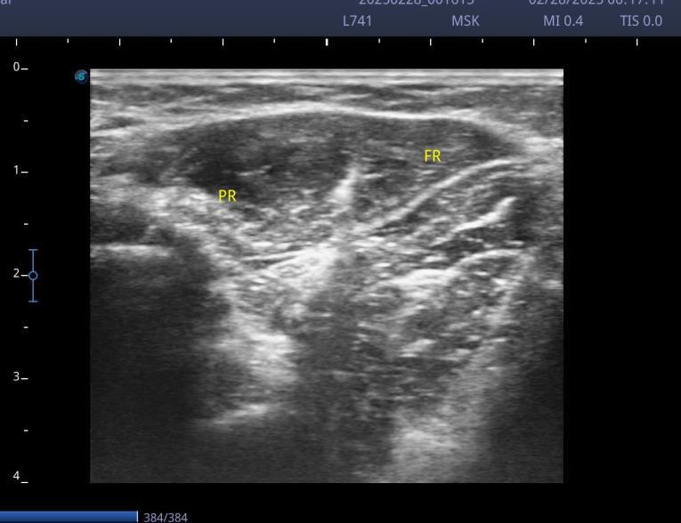
TRICEPS BRACHII, 40 UI

PRONATOR TERES, 30 UI

Case 2

Ultrasound-guided focal treatment with botulinum toxin in the upper limb

FLEXOR DIGITORUM SUPERFICIALIS, 40 UI

FLEXOR POLLICIS LONGUS, 30 UI

Ultrasound-guided focal treatment with botulinum toxin in the upper limb

GAS SCALE

Case 2

Ultrasound-guided focal treatment with botulinum toxin in the upper limb

Case 2

Ultrasound-guided focal treatment with botulinum toxin in the upper limb

THANKS FOR THE ATTENTION

Vite che aiutano la Vita

Il presente documento Ë stato elaborato slide da Ospedale Pediatrico Bambino Ges˘

I contenuti sono strettamente riservati; Ë vietata la riproduzione e la divulgazione, anche solo parziale, senza il benestare scritto di Ospedale Pediatrico Bambino Ges˘.

Grazie!

Turn static files into dynamic content formats.

Create a flipbook
Issuu converts static files into: digital portfolios, online yearbooks, online catalogs, digital photo albums and more. Sign up and create your flipbook.