#11 – Alles für die Gesundheit

Page 1


ALLES FÜR DIE GESUNDHEIT

Eine Kampagne für Best Ager und Frauen

JUNGBRUNNEN EWIGES EIS

Eiskunst-Königin Denise Biellmann verrät, wie sie Körper und Geist fit hält und, dass in ihr Bircher Müsli doppelt Schlagsahne gehört.

|

CHALLENGE SOLOWORKING-MOM

Ex-Freestyle-Skierin

Mirjam «Mimi» Jäger über Schlafmangel, kleine Auszeiten, die Bürde des Perfektionismus und welche Rolle viel Pasta und Schokolade dabei spielt.

Best Ager | Interview | Tina Müller

BIKEN, SCHLEMMEN, WELLNESS, WANDERN

Die Schweiz ist ein ausgezeichnetes Reiseziel, insbesondere für Best Ager. Tina Müller vom Netzwerk Schweizer Pärke verrät, warum das so ist.

Frauengesundheit | Interview | Dr. Jeanne Fürst

FRÜHERKENNUNG VON BRUSTKREBS

Brustkrebs ist die häufigste Krebserkrankung bei Frauen. Wir haben mit Dr. Jeanne Fürst über Früherkennung und Prävention gesprochen.

Best Ager | Grosses Interview | Denise Biellmann
Frauengesundheit
Grosses Interview | Mirjam «Mimi» Jäger

AUSGABE #11

Campaign Manager:

Neslihan Gruel, Merle Tölke

Geschäftsführung: Nicole Bitkin

Head of Content & Media Production:

Aileen Reese

Redaktion und Grafik:

Aileen Reese, Nadine Wagner, Miguel Daberkow

Text: Karin Kudla, Chan Sidki-Lundius, Nadine Wagner, Kirsten Schwieger, Julia Butz, Jenny Brania, Silja Ahlemeyer, Katja Deutsch

Coverfoto:

Shutterstock, Remo Neuhaus, Presse

Distribution&Druck:

Tages-Anzeiger, 2024, DZZ Druckzentrum AG

Contentway

Wir erstellen Online- und Printkampagnen mit wertvollen und interessanten Inhalten, die an relevante Zielgruppen verteilt werden.

Unser Partner Content und Native Advertising stellt Ihre Geschichte in den Vordergrund.

Die Inhalte des „Partner Content“ in dieser Kampagne wurden in Zusammenarbeit mit unseren Kunden erstellt und sind Anzeigen.

Für die Lesbarkeit verwenden wir das generische Maskulinum. Die Formulierungen sprechen alle Geschlechter gleichberechtigt an.

Herausgegeben von: Contentway GmbH Rödingsmarkt 20 DE-20459 Hamburg

Tel.: +49 40 87 407 400

E-Mail: info@contentway.de Web: www.contentway.de

Best Ager 6. Regeneration 7. Barrierefreies Wohnen 12. Oxidativer Stress 18. 4 Arten des Gebens

Frauengesundheit

22. Madeleine Bernet

24. Endometriose

26. Intimgesundheit

38. Wechseljahre

CONTENTWAY.DE

Best Ager – die Stütze der Gesellschaft Ein Beitrag von Uwe Müller: In den Ländern ist viel in Bewegung. Da ist es gut, dass eine Bevölkerungsgruppe für Stabilität und Ausgeglichenheit sorgt.

ALLES FÜR DIE GESUNDHEIT

Contentway präsentiert Ihnen die Kampagne «Alles für die Gesundheit» – eine Lektüre, die sich ganz den Themen Gesundheit, Wohlbefinden und Lebensqualität für Best Ager und Frauen widmet.

Die Generation 50Plus ist mehr als nur eine demografische Gruppe – sie sind die Säulen unserer Gesellschaft mit langjähriger finanzieller Stabilität und einer Fülle an Lebenserfahrung.

Da der Bevölkerungsanteil der Senioren laut Prognosen in nächsten Jahrzehnten deutlich zunehmen wird, ist es von zentraler Bedeutung, die Best Ager bei Themen wie Digitalisierung nicht zurückzulassen und dadurch gesellschaftlich auszuschliessen.

Nichtsdestotrotz zeichnen sich Best Ager durch ihre Bereitschaft, viel zu reisen und grosszügig zu spenden, aus Reiseexpertin Tina Müller spricht im Interview ihre Empfehlungen für diverse Destinationen im Inland aus und gibt dabei auch Tipps für Kurzentschlossene.

Besonderes Augenmerk liegt auch auf der Ernährung im Alter, unterstützt durch das Fachwissen

CONTENTWAY.DE

Jungbrunnen Ernährung Welche Nährstoffe mit zunehmendem Alter immer wichtiger werden und welche Lebensmittel besser gemieden werden, erklärt Dr. Anne Fleck im Interview.

von Fernsehkoch René Schudel. Er teilt wertvolle Tipps, wie Best Ager durch eine ausgewogene Ernährung langfristig ihre Gesundheit und Vitalität fördern können.

Frauen durchlaufen im Leben diverse einzigartige Phasen, die spezielle Gesundheitsbedürfnisse mit sich bringen. Von der hormonellen Balance über Schwangerschaft bis zur Menopause finden Sie auf den nachfolgenden Seiten diesbezüglich interessante Einblicke. Auch die Themen Ernährung, Haut- und Intimpflege dürfen dabei nicht vernachlässigt werden.

Bestimmte Frauenkrankheiten wie Endometriose, Ödeme oder Brustkrebs erfordern hingegen spezielle Therapien, nicht zuletzt, weil Brustkrebs noch immer die häufigste Krebsart bei Frauen ist. TV-Ärztin Dr. Jeanne Fürst macht sich stark für Prävention und Früherkennung und liefert im Interview wertvolle Einblicke in die Vor- und Nachsorge bei Brustkrebs.

Erfahren Sie in unserer Publikation, wie Sie Ihre Gesundheit und Ihr Wohlbefinden in jeder Lebensphase aktiv fördern können. Wir wünschen viel Freude beim Lesen!

CONTENTWAY.DE

Pille absetzen: Diese Nebenwirkungen kann es geben

Das «Post-Pill-Syndrom» ist eine Konstellation von ca. 80 physischen und psychischen Symptomen wie Haarausfall, Akne, Verstimmungen, Immunschwäche und Unterleibsschmerzen.

AUCH IN DIESER AUSGABE:

Seite 8

Seite 16

Seite 34

ANZEIGE - ADVERTORIAL

Folge uns auf Social Media:
Tina Müller, Stv. Geschäftsleiterin des Netzwerks Schweizer Pärke
René Schudel, Fernsehkoch, Kochbuchautor & Gastronom
Dr. Jeanne Fürst, Moderatorin & Redaktionsleiterin von GESUNDHEITHEUTE

Das Zahnarzt-Team v.l.:

Dr. med. dent. May Zimmermann, Dr. med. dent Judith Aufenanger, med. dent. Michal Plocica

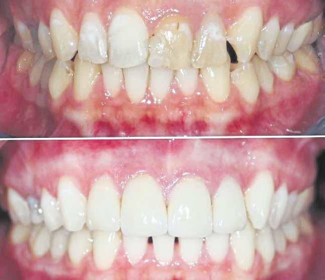
SCHÖNE ZÄHNE FÜR MEHR SELBSTWERTGEFÜHL

Der Wunsch nach äusserlicher Attraktivität nimmt in unserer Gesellschaft einen immer höheren Stellenwert ein. Schöne, weisse und gerade Zähne vermitteln uns Seriosität, Wohlstand und Gesundheit. Schöne Zähne lassen uns zudem jünger und attraktiver aussehen.

Jedes zweite Kind in der Schweiz bekommt heutzutage eine Zahnspange, während die Generation ihrer Eltern resp. ihrer Grosseltern häufig noch nicht in den Genuss von Zahnstellungskorrekturen gekommen ist und sich nun auch schöne Zähne wünscht. Und so haben wir heutzutage eine immense Nachfrage nach ästhetischen Zahnkorrekturen, nicht nur bei Jugendlichen, sondern auch bei Erwachsenen und auch bei Menschen im fortgeschrittenen Alter. Meine älteste Patientin war 88 Jahre alt, als sie sich von mir eine Zahnspange wünschte. Wir entschieden uns dann für eine Veneerlösung mit acht Veneers statt einer langwierigen kieferorthopädischen Behandlung, mit der sie überaus glücklich ist.

Für die Verschönerung unserer Zähne eignen sich vor allem Aligner. Das sind diskrete, durchsichtige Schienen-Zahnspangen, mit denen die Zahnstellung korrigiert werden kann und/oder Veneers. Dabei handelt es sich um hauchdünne Keramikschalen, die auf die Frontflächen der Zähne aufgeklebt werden. Mit Veneers kann man optisch ebenfalls Zähne leicht begradigen. Manchmal muss man beide Methoden hintereinander anwenden, um das „perfect smile“ zu bekommen. Und manchmal reicht auch ein einfaches

Bleaching aus.

Es gibt mittlerweile unzählige Unternehmen auf dem Markt, die diese Behandlungen anpreisen wie auf einem Basar – auch zu Dumpingpreisen. Jeden Tag bekomme ich über Social Media solche Angebote, obwohl es uns Ärzten eigentlich verboten ist, Therapien anzupreisen und Heilversprechen abzugeben. Jedoch sollte man sich als Patient immer vor Augen halten, dass man sich einer irreversiblen Behandlung unterzieht und es schwierig sein kann, im Falle eines Misserfolgs gegen Grosskonzerne und Ketten oder gegen Behandler im Ausland anzukämpfen. Ohne dass ich irgendwelche Kollegen kritisieren möchte, muss ich doch sagen, dass ich bei einigen Billiganbietern oftmals schreckliche Ergebnisse gesehen habe. Ich verstehe natürlich, dass man für eine Haartransplantation in die Türkei fliegt, sich die Brüste in Brasilien machen lässt, aber wenn etwas schiefgeht, kann es unmöglich sein, Ansprüche geltend zu machen. Ich habe ausserdem die Erfahrung gemacht, dass die Durchschnittspreise bei den Billiganbietern in der Schweiz in der Regel gleich hoch sind wie in meiner Praxis. Es ist eben eine tolle Marketingstrategie, günstige Preise anzupreisen und dann dem Patienten durch „nicht vorhergesehenen“ Aufwand Mehrkosten aufzudrücken oder – welches eine gängige Methode ist – nach der nicht zufriedenstellenden Alignerbehandlung noch eine Veneer-Behandlung zu verkaufen. Vor allem die jungen Menschen sind sehr empfänglich für solche Marketingversprechen. Der Gang zum Beautydoc wird heute immer selbstverständlicher, darum ist die Hürde, für eine Sanierung ins Ausland zu fliegen und das noch mit Ferien zu kombinieren, sehr niedrig geworden. Ich halte das nicht für seriös und auch nicht für ganz ungefährlich. Eine Zahnbehandlung ist eine Vertrauenssache. Wir haben hier in der Schweiz sehr hohe Hygienestandards, wir haben die Swissmedic und die Medizinprodukteverordnung und strenge Kantonszahnärzte, die es sich zur Aufgabe gemacht

haben, alle Praxen zu kontrollieren, und darum vertraue ich den Herstellern in der Schweiz. Hier sind auch die Lieferwege kurz und dadurch ökologischer. Die Aligner-Schienen des Marktführers fliegen um die halbe Welt, bis sie im Mund des Patienten landen, meine werden in der Schweiz hergestellt. Ausserdem gehören zahnärztliche und kieferorthopädische Behandlungen – auch Aligner und Veneers – in die Hände von Spezialisten.

Zusammenfassend kann ich sagen, dass wir in unserem Team mit schweizer Laboren und Alignerherstellern hier tolle Ergebnisse mit Veneers und/ oder Aligner-Schienen erzielen, bei denen man eben nicht sofort sieht, dass es sich um künstliche Zähne handelt. Unser Anspruch ist das „perfect smile“, dem man nicht ansieht, dass es künstlich ist.

Dr. med. dent. Judith Th. Aufenanger, M.Sc., M.Sc, Zahnärztin, Praxis für Ästhetische und Restaurative Zahnmedizin sowie orale Implantologie (CH)

Mehr Infos:

«Das Alter» oder: Der dritte Lebensabschnitt

EINLEITUNG

«Das Alter» gibt es nicht. Alter ist keine klar definierbare Kategorie – ausser als Altersangabe in Jahren. Die Leute altern individuell und unterschiedlich. Wann beginnt dieser Lebensabschnitt überhaupt? Sozialpolitisch gesehen fängt der dritte Lebensabschnitt mit der Pensionierung an und dauert bis zum Lebensende. In jedem Fall ist es eine lange Lebensphase, die mehrere Jahrzehnte umfassen kann und nicht selten eine Herausforderung darstellt.

Foto: Ruben Ung

Mittelfristig wird ein Viertel der Schweizer Bevölkerung über 65 Jahre alt sein. Eine Gruppe mit Erfahrung und Wissen und damit grossem Potenzial für Gesellschaft, Wirtschaft und Politik. Nicht nur bringt das von Seniorinnen und Senioren lebenslang erwirtschaftete Vermögen dem Staat ansehnliche Steuererträge, auch aufgrund der von ihnen geleisteten Millionen Stunden Freiwilligenarbeit sind sie eine unentbehrliche Stütze für das gesellschaftliche Zusammenleben.

Den Freiwilligen bietet ihr Engagement die Chance, am gesellschaftlichen und kulturellen Leben teilzunehmen, sich zu integrieren und soziale Bindungen einzugehen. Freiwilliges Engagement hilft, länger gesund zu bleiben und wirkt der Vereinsamung entgegen.

Die Seniorinnen und Senioren von heute sind in der Regel aktiv und halten sich fit; sie sind gut informiert, profitieren von ihrer Lebenserfahrung und geben sie gerne weiter. Viele von ihnen sind kreativ und haben vielerlei Interessen. Sie finden neue Wohnformen, um lange – oft bis ins hohe Alter – im eigenen Haushalt leben zu können. Und dennoch werden ältere Menschen oft diskriminiert. Sei es beim Abschluss von privaten Versicherungen oder bei Finanzund Bankgeschäften. Einem Teil der älteren

Menschen fällt es schwer, mit der digitalen Welt Schritt zu halten oder sie ziehen es ganz einfach vor, weiterhin analog zu funktionieren. So bedeutet beispielsweise die aktuell diskutierte Abschaffung der Mehrfahrtenkarte in Papierform, dass diese Menschen in ihrer Mobilität eingeschränkt und gesellschaftlich ausgegrenzt würden. Insbesondere der Zugang zum öffentlichen Verkehr muss weiterhin analog, anonym und diskriminierungsfrei möglich sein.

Seniorinnen und Senioren sind ein tragender Pfeiler unserer Gesellschaft. Um ihnen zu ermöglichen, selbstbestimmt, finanziell abgesichert und in Würde alt zu werden, sowie als vollwertige Mitglieder der Gesellschaft mit Wertschätzung behandelt zu werden, braucht es die aktive Beteiligung von uns allen: Von den Betroffenen selbst, indem sie ihre Erfahrungen und ihre Wünsche und Anliegen einbringen, von Verbänden wie dem Schweizerischen Verband für Seniorenfragen SVS, der sich mit anderen Altersorganisationen vernetzt und auf politischer Ebene für Alterspolitik stark macht. Gefordert sind zudem Altersforschung, Gemeinwesen, Politik und Wirtschaft. Ein konstruktives Zusammenwirken der verschiedenen Generationen ist fundamental für eine erfolgreiche Zukunft unseres Landes. Dieser Aufgabe sind wir alle verpflichtet.

Rudolf

Seniorinnen und Senioren sind ein tragender Pfeiler unserer Gesellschaft. Um ihnen zu ermöglichen, selbstbestimmt, finanziell abgesichert und in Würde alt zu werden, sowie als vollwertige Mitglieder der Gesellschaft mit Wertschätzung behandelt zu werden, braucht es die aktive Beteiligung von uns allen. ANZEIGE

Bei uns erwartet Dich das exklusive VIP Erlebnis mit allem, was das Herz begehrt. Mit unserem VIP-Treatment wird Dein Konzerterlebnis zum perfekten Abend!

WILLKOMMEN IN UNSEREM VIP-BEREICH

„Ich finde wir haben wirklich für jede*n etwas dabei: Die Privatloge für den exklusivsten Abend, die StarLounge für ein spezielles Gesamterlebnis und das STUDIO für eine lockere Atmosphäre unter Freunden. Für mich ist es wahnsinnig toll zu sehen, wie unsere Gäste Freude an unserem Angebot haben!“

Jeannine König, Produktmanagerin VIP & Hospitality

Gute Nacht. Guten Tag.

Die Kraft der Natur. Für einen gesunden Schlaf.

Wer schon einmal in einem Naturbett von Hüsler Nest geschlafen hat, fühlt den Unterschied und erlebt Schlafkomfort auf einem neuen Level.

Das einzigartige Liforma-Schlafsystem passt sich jedem Körper flexibel an und sorgt für einen wohligen, erholsamen Schlaf und ein energievolles Aufwachen. Auflagen aus 100 % naturbelassener Schafschurwolle, NaturlatexMatratzen sowie Decken, Kissen und Bezüge runden den Schlafkomfort ab.

Umgeben von ökologisch einwandfreien Materialien verwöhnen die Naturbetten mit einem unvergleichlichen Schlaferlebnis. Damit schaffen wir perfekte Bedingungen zum Auftanken in der Nacht. Denn natürlich schlafen entspricht unserem Wesen und macht uns fit für einen bewegten Alltag mit zahlreichen Herausforderungen.

Hüsler Nest entdecken & Schlafberatung buchen! Scannen für mehr Informationen.

Das erste Varilux® Gleitsichtglas, das durch künstliche Verhaltensintelligenz entwickelt wurde1.

95% gewöhnten sich ab dem ersten Tag2

Sofort scharf sehen - auch in Bewegung2

+49% Breitband-Sehvolumen vs Varilux® X SeriesTM Gleitsichtgläser 3

Fragen Sie Varilux® XR seriesTM bei Ihrem Optiker.

Das erste Varilux® Gleitsichtglas, das auf das Auge reagiert und das Sehverhalten des Trägers vorhersagt.1

Entspannte Körperhaltung in jeder Situation hohe Sehschärfe auch bei schlechten Lichtverhältnissen

- 19 % Plastikverbrauch & - 6 CO2 Emissionen4

Gewinner des «SILMO d’or 2023» in der Kategorie Vision

Schlafberatung buchen!

Die Natur ist eine Oase der Erholung

Die positiven Auswirkungen der Natur auf Wohlbefinden und Gesundheit sind vielfältig. Die Kraft der Natur hilft, Körper und Geist zu regenerieren.

Vielen Menschen wächst der Stress im Alltag über den Kopf. Doch wenn berufliche Anforderungen, Erwartungen von Familie und Freunden und manchmal auch die eigenen Ambitionen zu viel werden, liegt die Lösung gar nicht weit entfernt. Die heimische Natur bietet eine einzigartige Möglichkeit, Stress abzubauen und den Geist zu beruhigen. Das Grün der Bäume, das Zwitschern der Vögel und die frische Luft tragen dazu bei, dass wir uns entspannter fühlen und uns von den Belastungen des Alltags erholen können.

Ein Spaziergang im Wald oder ein Nachmittag im eigenen Garten können wahre Wunder für unsere Gesundheit bewirken. Die Bewegung an der frischen Luft stärkt das Immunsystem, verbessert unsere körperliche Fitness und gibt Energie und Vitalität. Nicht umsonst liegen Waldbaden und andere Aktivitäten in der Natur im Trend. Sie lassen sich einfach in den Alltag integrieren und stärken doch bei vielen Menschen das Wohlbefinden. Indem wir uns bewusst Zeit in der Natur nehmen und sie in unser tägliches Leben integrieren,

Die Sinneserfahrungen, die wir in der Natur machen sprechen alle Sinne an und vermitteln eine tiefere Verbindung zur Welt um uns herum.

können wir nicht nur uns selbst Gutes tun, sondern auch einen Beitrag zum Schutz unserer Umwelt leisten. Denn wer den Wert der Natur für sich selbst erkennt, tritt mit mehr Überzeugung für den Schutz der Natur, die Erhaltung bedrohter Arten und die Einrichtung grüner Oasen im Alltag ein.

Die Natur hilft aus mehreren Gründen, uns lebendig und vital zu fühlen. In der Natur atmen wir saubere, frische Luft ein, welche die Sauerstoffversorgung unseres Körpers fördert. Zudem bieten Aktivitäten wie Spaziergänge im Wald, Wandern oder Gartenarbeit die Möglichkeit, sich an der frischen Luft zu bewegen, was wiederum das HerzKreislauf-System stärkt. Aber nicht nur körperlich, auch mental hat die Natur eine positive Wirkung auf uns. Die Geräusche der Natur wie das Rascheln der Blätter, das Prasseln des Regens oder Rauschen eines Baches haben eine beruhigende Wirkung auf unseren Geist und helfen dabei, Stress abzubauen und uns zu entspannen. Die

Wohlfühlfaktoren

Die naturnahe Gestaltung des eigenen Gartens ist Ausdruck einer nachhaltigen Lebensweise und eine bewusste Entscheidung für die Schönheit der Natur.

Frisches Obst, Gemüse und Kräuter aus dem eigenen Garten können Akzente auf dem Teller setzen. Die heimischen Pflanzen sind zudem Lebensgrundlage für Vögel, Igel und Eichhörnchen und anderen heimische Tiere. Damit aus guten Ideen der eigene Wunschgarten entsteht, gibt es Experten, die naturnahe Gärten planen und anlegen. Einer davon ist Pirmin Rohrer von der natUrban GmbH aus Uerzlikon (ZH).

Was ist ein naturnaher Garten?

Sinneserfahrungen, die wir in der Natur machen sprechen alle Sinne an und vermitteln eine tiefere Verbindung zur Welt um uns herum.

Die Natur ist auch eine Quelle der Inspiration und Kreativität. Und auch in Innenräumen können wir eine «natürliche» Atmosphäre schaffen, die dazu beiträgt, unser Wohlbefinden zu steigern. Materialien wie Holz, Stein und Leinen verleihen einem Raum Wärme und Gemütlichkeit. Auch Pflanzen spielen eine wichtige Rolle für eine natürliche Atmosphäre. Sie verbessern die Luftqualität und schaffen zudem eine entspannte und harmonische Umgebung. Eine sanfte Beleuchtung mit warmen Farbtönen und natürlichen Materialien wie Holz oder Bambus tragen ebenfalls dazu bei, eine gemütliche Atmosphäre zu schaffen, in der man sich entspannen und wohlfühlen kann. So kann man auch im Alltag von der Kraft der Natur profitieren und sich den Herausforderungen des Lebens entspannter stellen.

im naturnahen Garten

Pirmin Rohrer, Gründer & Inhaber natUrban GmbH

derbar dem Alltag entfliehen und die Natur direkt vor der Haustür erleben. Der Garten soll ein kleines Universum sein, vom Achten und Pflegen des Miteinanders inspiriert.

Wie können Gartenbesitzer die Natur in Ihrem Garten fördern?

Indem wir uns bewusst Zeit in der Natur nehmen und sie in unser tägliches Leben integrieren, können wir nicht nur uns selbst Gutes tun, sondern auch einen Beitrag zum Schutz unserer Umwelt leisten.

Fakten

Schon Pfarrer Sebastian Kneipp wusste um die Bedeutung der Natur für ein gesundes Leben. Er entwickelte in Bad Wörishofen einen ganzheitlichen Ansatz für ein gesundes Leben. Wasser, Bewegung, Ernährung, Heilpflanzen und innere Ordnung sind sein Erfolgsrezept, das man in den Alltag integrieren kann.

Wie wird ein Garten zur idyllischen Oase?

Ich empfehle, vorgängig den Sonnenstand zu verschiedenen Tages- und Jahreszeiten zu beachten. Durch unterschiedliche Sitzplätze können behagliche Rückzugsmöglichkeiten geschaffen werden. Hier lässt es sich wun-

Ein vielfältiger Lebensraum für Menschen, Tiere und Pflanzen. Schon bei der Erstellung wird auf eine gute Ökobilanz geachtet: Zurückhaltende Maschineneinsätze, die Verwendung regionaler Baustoffe, kurze Transportwege, sickerfähige Beläge. Auch ein soziales Arbeitsmilieu mit fairer Entlohnung gehört dazu. Pflanzen – am besten Wildstauden – kommen aus biologischer Kultur. Dem örtlichen Klima und dessen Entwicklung wird grosse Beachtung geschenkt.

Mit natUrban der eigenen Natur näher sein. Ästhetisch schön, handwerklich präzis, ökologisch wertvoll, natürlich standortgerecht, mit durchdachter Ressourcenschonung und Ökobilanz. www.naturban.ch

Genau wie wir Menschen wünschen sich auch unsere heimischen Tiere – Insekten, Vögel, Kleinsäuger – Rückzugsmöglichkeiten. Asthaufen, Trockensteinmauern sowie Totholzelemente sind nicht nur ideale Unterschlupfe, sondern auch strukturbildende und spannende Elemente im naturnahen Garten.

Was ist besonders an natUrban?

Unsere Erfahrung ist in der Praxis gewachsen. Gestaltend und pflegend erleben wir hautnah, wie sich ökologische Gemeinschaften entwickeln und wie dynamisch natürliche Zusammenhänge ineinander spielen.

Dieser Fundus an Wissen und Erfahrung prägt unser Schaffen und nährt unsere Intuition. Wir sind ein Bioterra-zertifizierter Fachbetrieb und arbeiten konsequent nach den Richtlinien des ökologischen Gartenund Landschaftsbau.

Fotos: Christian Reichenbach
Die Natur ist auch eine Quelle der Inspiration und Kreativität.

Eine Zukunft in den eigenen vier Wänden

Wer auch im Alter zu Hause leben möchte, sollte rechtzeitig über einen barrierefreien Umbau von Wohnung oder Haus nachdenken.

Text: Karin Kudla Foto: CDC/unsplash

Viele Menschen wünschen sich, auch im Alter in ihrer vertrauten Umgebung leben zu können. Doch oft sind Häuser und Wohnungen nicht darauf vorbereitet. Steile Treppen, enge Türen und hohe Badewannen können im Alter zu Hindernissen werden, die einen Umzug unvermeidlich machen. Wer jedoch frühzeitig plant und seine eigenen vier Wände hindernisfrei umbaut, erhöht die Chance, auch im Alter dort wohnen zu können.

Die meisten Veränderungen betreffen bauliche Massnahmen. Personen mit eingeschränkter Mobilität können Stufen und Treppen oft nur mit kleinen Rampen oder Treppenliften überwinden. Einfache Modelle werden im Treppenhaus angebracht. Ausgefeiltere Modelle verbinden hingegen die Etagen wie ein Aufzug. Um die Wohnräume barrierefrei zu gestalten, sind weitere Bauarbeiten notwendig. So sollte beispielsweise die klassische Badewanne einer bodengleichen Dusche weichen, die ohne Stufen zugänglich ist und im Idealfall sogar mit einem Rollstuhl befahrbar ist. Unterfahrbare Waschbecken und breite Türen, insbesondere für die wichtigsten Räume, sind ebenfalls von grosser Bedeutung. Zusätzliche Griffe und Haltesysteme können Stürze verhindern, die Sicherheit erhöhen und die Selbstständigkeit im Alltag fördern. Türschwellen in älteren Gebäuden müssen entfernt oder überbrückt werden.

Die Anpassung einer Bestandsimmobilie an die Bedürfnisse im Alter kann ein umfangreiches Projekt sein, das nicht nur viel Zeit, sondern auch finanzielle Investitionen erfordert.

tag vereinfachen und sicherer machen. Ein Notrufsystem ermöglicht es, im Bedarfsfall auf Knopfdruck oder sogar automatisch Hilfe herbeizurufen. Smart Home-Technologien wie intelligente Thermostate, Türschlösser und Beleuchtungssysteme können den Alltag automatisieren und erleichtern. Optional können auch Kameras installiert werden, damit nahestehende Personen, wenn nötig, aus der Ferne nach dem Rechten sehen können.

Die Anpassung einer Bestandsimmobilie an die Bedürfnisse im Alter kann ein umfangreiches Projekt sein, das nicht nur viel Zeit, sondern auch finanzielle Investitionen erfordert. Doch da für viele Menschen der Umzug in eine kleinere, barrierefreie Wohnung keine Option ist, ist es ratsam, frühzeitig über die eigenen Bedürfnisse nachzudenken. Vor dem ersten Gespräch mit Handwerkern ist es sinnvoll, einen Plan zu erstellen, welche Umbauten in Zukunft sinnvoll sein könnten. Wenn der Umbau

Wohnraum.

Ihre Treppenlifte, Plattformlifte und Homelifte helfen Tausenden von Senioren, im eigenen Zuhause wohnen zu bleiben.

günstigere und effektivere Lösungen gefunden werden.

Familienmitglieder und Freunde können bei der Planung und Umsetzung von Umbauten unterstützen, ebenso wie spezialisierte Beratungsstellen zum barrierefreien Wohnen. Diese können auch über staatliche oder kommunale Programme informieren, die finanzielle Unterstützung für barrierefreie Umbauten bieten. Bei Mietwohnungen ist die Einbeziehung des Vermieters unerlässlich, um die Zustimmung zu den Umbaumassnahmen einzuholen und Absprachen für die Rückgabe der Wohnung zu treffen. Für Eigentümer können je nach Art der Umbauten Genehmigungen erforderlich sein, weshalb eine frühzeitige Abstimmung mit den Handwerkern und Behörden ratsam ist. Wer den hindernisarmen Umbau rechtzeitig angeht, kann beruhigt in den

Familienmitglieder und Freunde können bei der Planung und Umsetzung von Umbauten unterstützen, ebenso wie spezialisierte Beratungsstellen zum barrierefreien Wohnen.

Fakten

Mit einer Checkliste für altersgerechtes Wohnen macht man eine Bestandsaufnahme. Anschliessend vergleicht man den Status quo mit den künftigen Anforderungen. Das ist eine gute Vorbereitung für Gespräche mit Beratungsstellen und Handwerksbetrieben, bei denen über Kosten und Fördermöglichkeiten informiert wird.

ANZEIGE - ADVERTORIAL

Die Kosten: Viel tiefer, als man denkt Fragt man Leute, was wohl ein Treppenlift kosten mag, so denken viele an ein Auto. «Stimmt nicht», sagt Daniel Weibel, der Geschäftsführer von Stannah. «Die Preise beginnen heute bereits bei den Kosten für einen Monat in einem Altersheim. Sie sparen dabei erst noch viel Geld gegenüber der deutlich teureren Alternative wie einen Umzug.

Die Qualität der Lifte überzeuge, sagt Beat Mühlemann, der Cheftechniker von Stannah: «Erst vor wenigen Tagen haben wir einen Stannah-Treppenliftegewartet – installiert haben wir ihn in den 1980er Jahren.» Eindrücklicher lässt sich kaum illustrieren, wie lange ein Stannah-Lift seine wertvollen Dienste leisten kann.

sales@stannah.ch

www.stannah.ch

Gerade körperliche Einschränkungen stellen besondere Anforderungen an den

Biken, Schlemmen, Wellness, Wandern

NATURERLEBNIS

Die Schweiz ist ein ausgezeichnetes Reiseziel, insbesondere für Best Ager. Tina Müller vom Netzwerk Schweizer Pärke verrät, warum das so ist.

Text: Chan Sidki-Lundius Foto: Schweiz Tourismus, Janosch Hugi

Tina Müller, Stv. Geschäftsleiterin des Netzwerks Schweizer Pärke

Frau Müller, was zeichnet die Schweiz als Reiseziel für Best Ager aus?

Die Schweiz ist unglaublich vielfältig, die Reisedistanzen sind kurz. Mir persönlich gefallen vor allem die schönen Landschaften und historischen Dörfer in den Schweizer Pärken. Sie sind gut mit dem öffentlichen Verkehr erschlossen. Damit reist man nicht nur nachhaltig, sondern pünktlich, bequem, ganz ohne Stau und absolut sicher. Die Schweizer Pärke haben ein tolles Spezialangebot: Alle Gäste, die zwischen dem 01. August und 31. Oktober 2024 in einer der 60 teilnehmenden Unterkünfte mindestens drei Übernachtungen buchen, erhalten die Anund Rückreise in der Schweiz geschenkt.

In den Schweizer Pärken gibt es eine Reihe besonders nachhaltiger Betriebe. Und weil alle Menschen Zugang zur Natur haben sollen, haben die Pärke barrierefreie und inklusive Angebote entwickelt.

Insgesamt empfiehlt es sich, ausserhalb der Ferienzeit zu reisen. Im Januar teilt man sich den Schneezauber der Schweizer Alpen oder Jurahöhen nur mit wenig anderen. Im Mai und Juni zeigt sich der Frühling von seiner schönsten Seite, im Sommer ist es schön kühl in der Höhe und von September bis November verzaubert der goldene Herbst.

Welche Regionen und Aktivitäten sind besonders empfehlenswert?

Die Schweiz und ihre Natur- und Naturerlebnispärke sowie der Schweizerische Nationalpark haben für jedes Bedürfnis das passende Angebot. Dazu gehören wunderschöne und gut präparierte Wanderwege (schweizmobil.ch), etwas herausfordernde Mehrtageswanderungen, etwa auf der 3 Pärke Tour, oder traditionelle Feste wie der Alpabzug in Charmey. Wellnessfans kommen ebenfalls auf ihre Kosten, beispielsweise in der UNESCO Biosphäre Entlebuch. Oder wie wäre es mit Achtsamkeit in der Natur (z. B. beim Waldbaden im Naturpark Thal). Für mich ist die E-Bike-Tour La Route Verte, die in sieben Etappen von Schaffhausen nach Genf führt, ein absolutes Highlight. Genuss und Spass garantiert auch die kulinarische Schnitzeljagd Savurando. Im Winter sind die gut ausgeschilderten und präparierten Winterwanderungen und Schneeschuhtouren in den Regionalen Naturpärken empfehlenswert. In den Schweizer Pärken gibt es eine Reihe besonders nachhaltiger Betriebe. Und weil alle Menschen Zugang zur Natur haben sollen, haben die Pärke barrierefreie und inklusive Angebote entwickelt.

Viele Menschen schätzen die Schweiz sehr, fürchten jedoch die hohen Preise. Was sagen Sie dazu?

Tatsächlich sind gewisse Angebote teurer als in anderen Ländern. Jedoch sind die Landschaft und die Natur mit den türkisblauen Seen, Bergdörfern und Jura-Hügeln

Die Infrastruktur ist qualitativ und das Reisen absolut sicher.

schon fast kitschig schön. Die Infrastruktur ist qualitativ und das Reisen absolut sicher. Die Qualität der Angebote hat ihren Preis, das Preis-Leistungsverhältnis in der Schweiz stimmt jedoch.

Gibt es auch Angebote für Kurzentschlossene?

Natürlich! Hier ein paar Leckerbissen: Kurzentschlossene können im Naturpark Diemtigtal geführte Exkursionen zur Alpwirtschaft, Kräuterwanderungen oder Fotografie-Touren buchen. Tierbeobachtungen sind im Schweizerischen Nationalpark je nach Saison kurzfristig möglich. Der Naturpark Pfyn-Finges bietet geführte Vogelbeobachtungstouren an, Buchungen für die Schatzsuche Savurando sind bis zu einer Stunde vor dem Start möglich. Im Parc du Doubs können sich Besucher auf die Spur der traditionellen Pferderasse Freiberger begeben.

Alle diese und viele weitere Tipps gibt es in der Schweizer Pärke App oder unter www.parks.swiss

desto besser.

Sehnsucht nach der Ferne

Fernweh: Was gibt es Schöneres als fremde Welten, unbekannte Kulturen, spektakuläre Naturparadiese und aussergewöhnliche Köstlichkeiten zu entdecken.

Text:

Foto:

Einmal vor den Pyramiden stehen, auf Safaritour gehen, das tiefe Grün des Urwalds oder die Perlen der Karibik erforschen. Ins ewige Eis aufbrechen, Fjorde und Geysire entdecken, in paradiesische Unterwasserwelten oder schillernde Metropolen mit atemberaubender Architektur abtauchen.

Eine Reise in die Ferne – wohl immer auch ein Stück Sehnsucht nach neuen Horizonten, nach Welterfahrung, vielleicht auch nach Sinnstiftung oder einem anderen Leben. Auf jeden Fall ist es «umgekehrtes Heimweh», und das trifft es, frei nach Goethe, wohl doch am besten. Immer auf der Suche nach Grossartigem, nach Unbekanntem und vielleicht auch nach ein bisschen Abenteuer. Für den einen bedeutet das, durch den Dschungel zu robben, die australische Wildnis zu durchwandern oder seine Grenzen beim Paddeln über den Amazonas auszuloten. Für den anderen sind Luxus unter Palmen, endlose Puderzuckerstrände und azurblaues Wasser der Himmel auf Erden. Geschichtsinteressierte...

Lesen Sie den ganzen Artikel online auf: contentway.de

ANZEIGE - ADVERTORIAL

Mehr als 12 inkludierte Attraktionen für Übernachtungs- und Tagesgäste!

Julia Butz
Jet de la Cruz/unsplash
Je mehr Zeit man für eine Fernreise hat,

Luxus, Komfort

und

Flusskreuzfahrten auf dem Mekong und durch die Inselwelt Indonesiens

Tauchen Sie ein in die faszinierende Welt des Reisens mit tourasia und entdecken Sie exklusive Flusskreuzfahrten auf dem Mekong und den Gewässern Indonesiens mit Aqua Expeditions.

Eine Reise auf dem Mekong: Die Lebensader Indochinas Der majestätische Mekong durchzieht China, Myanmar, Laos, Thailand, Kambodscha und Vietnam und eröffnet dabei eine beeindruckende Reise durch abwechslungsreiche Landschaften und vielfältige Kulturen. Eine der besten Möglichkeiten, diese faszinierende Wasserstrasse hautnah zu erleben, ist an Bord der «Aqua Mekong», einem Flusskreuzfahrtschiff der Reederei Aqua Expeditions.

Während der fünftägigen Rundreise «Kambodschas Wasserwelten» besuchen Sie u. a. die ehrwürdigen Tempel von Angkor Wat, den schwimmenden Markt von Cai Be sowie zahlreiche idyllische Fischerdörfer entlang des Flusses. Die Aqua Mekong, mit Platz für maximal 40 Gäste, bietet eine gemütliche und exklusive Atmosphäre, die ein intimes Reiseerlebnis garantiert. An Bord können Sie in eleganten Suiten mit Panoramablick auf den Fluss entspannen und erstklassigen Service geniessen. Die kulinarischen Genüsse, die von Spitzenköchen aus regionalen Zutaten kreiert werden, sind eines von vielen Highlights der Reise.

Unsere unvergesslichen

Tour-Angebote

Kambodschas Wasserwelten (Aqua Mekong)

• 5 Tage ab Siem Reap bis Phnom Penh

• ab 5‘450 CHF p. P.

Kreuzfahrt im Korallendreieck Indonesiens (Aqua Blu)

• 8 Tage ab Bali bis Labuan Bajo

• ab 8‘590 CHF p. P., inkl. Tauch- und Schnorchelausrüstung, Wassersportarten

Raja Ampat an Bord der Aqua Blu

• 8 Tage ab Sorong bis Sorong

• ab 8‘590 CHF p. P., inkl. Tauch- und Schnorchelausrüstung, Wassersportarten

Indonesien: Unberührte Naturlandschaft und farbenfrohe Unterwasserwelt

Indonesien, ein Archipel mit über 17‘000 Inseln, beeindruckt durch seine unberührten Naturlandschaften und vielfältigen Artenreichtum. Die luxuriöse «Aqua Blu» bietet hier gleich zwei unvergessliche Routen:

Die 8-tägige Kreuzfahrt im Korallendreieck Indonesiens startet in Benoa auf Bali und führt Sie über die Horseshoe Bay und den berühmten Pink Beach, bevor Sie in Labuan Bajo ankommen.

Die magische Schönheit von Raja Ampat entdecken Sie hingegen auf der 8-tägigen Kreuzfahrt mit Abfahrt und Ankunft in Sorong. Geniessen Sie die beeindruckenden Mangrovenlandschaften der Mioskon-Inseln und der Kabui Bay. Tauchen Sie ein in die farbenfrohe Unterwasserwelt Gili Lawas, wo Sie mit etwas Glück Schildkröten und Haie erspähen. Mit dem Kajak paddeln Sie um Wayag Island, erleben dreifarbige Strände und machen Bekanntschaft mit einem tierischen Inselbewohner – dem Komodowaran.

Nachhaltiger Luxus und unvergessliche Erlebnisse Sowohl tourasia als auch Aqua Expeditions legen grossen Wert auf nachhaltigen Tourismus und arbeiten eng mit lokalen Gemeinschaften zusammen, um sicherzustellen, dass ihre Reisen sowohl für die Gäste als auch für die bereisten Regionen von Vorteil sind. Durch gezielte Initiativen wird die lokale Wirtschaft unterstützt und der Schutz der Umwelt gefördert.

Egal, ob Sie den majestätischen Mekong oder die artenreiche Inselwelt Indonesiens erkunden möchten, mit Aqua Expeditions erwartet Sie eine Reise, die Luxus, Komfort und Abenteuer perfekt miteinander verbindet.

Mehr Infos unter: www.tourasia.ch

Für entspannte Ferien - sorgen Sie vor!

Der Sommer ist eine beliebte Reisezeit. Damit Sie Ihre Ferien entspannt geniessen können, sollten Sie sich ein paar Wochen vor der Abreise einen Überblick verscha en, was Sie für Ihre Reise benötigen. So lassen sich ärgerliche Überraschungen vermeiden. Prüfen Sie Ihren Pass oder die Identitätskarte, den Versicherungsschutz und Ihre Reiseapotheke.

Entspannt am Strand die Wärme geniessen, mit dem Velo dem Fluss entlang fahren oder nach Lust und Laune mit dem «Heim auf Rädern» kleine Dörfer und Landschaften erkunden. Wie auch immer Sie die schönste Zeit im Jahr verbringen möchten: Eine sorgfältige Planung und rechtzeitige Vorbereitung können den Genuss noch steigern - auch im Alter oder bei gesundheitlichen Problemen.

Die wichtigsten Punkte für Ihre Ferien Wenn Sie mehrere Wochen in einem fernen Land verbringe wollen, informieren Sie sich rechzeitig über eventuell notwendige Impfungen, besorgen Sie sich bei Ihrem Arzt nötige Rezepte und lassen Sie sich z.B. für Spritzen oder besondere Medikamente (z.B. Betäubungsmittel) ein ärztliches Zeug-

nis oder eine o zielle Bescheinigung ausstellen, am besten in Englisch.

Beim Reisen besteht die Gefahr, dass sich durch zu langes Still-sitzen in einem Blutgefäss ein Gerinnsel bildet, ein sogenannter Thrombus. Wenn Sie während der Reise nicht aufstehen können, bewegen Sie sich regelmässig so gut wie möglich: kreisen Sie die Füsse, heben Sie die Beine. In der Apotheke erhalten Sie zudem passende Stützstrümpfe, mit der Instruktion zur korrekten Anwendung. Diese helfen ebenfalls das Risiko einer Thrombose zu minimieren.

Vergessen Sie nicht, während der Reise viel zu trinken und eine gefüllte Wasserflasche mit an den Strand oder auf den Ausflug mitzunehmen.

Und auch wenn uns Sonnenschein glücklich macht: Zu viel Sonne kann schaden. Sie verbrennt die Haut. Nutzen Sie daher immer einen Sonnenschutz mit hohem Lichtschutzfaktor!

Das gehört in die Reiseapotheke

• Mittel gegen Schmerzen und Fieber

• Lindernde Produkte bei Erklältungen

• Desinfektionsmittel und Wundversorgungsmaterial

• Salben/Lotionen für den Sonnenschutz (unbedingt auf hohen Lichtschutzfaktor achten!)

• Produkte zur Linderung von Insektenstichen

• Mittel bei Übelkeit, Erbrechen, Durchfall, etc.

• Fieberthermometer, Pinzette und Schere

• Individuelle, persönliche Medikamente

Impf- und Reiseberatung: In Ihrer Apotheke Um vor und während einer Reise gesund zu bleiben, empfiehlt sich eine umfassende Beratung in der Apotheke – Bitte kommen Sie ein paar Wochen vor Ihrer Abreise auf uns zu! Wir überprüfen Ihren Impfausweis und erstellen Ihnen gegebenenfalls einen Impfplan, der genau auf das Abreisedatum und die Reiseroute abgestimmt ist. Zudem stellen wir Ihnen gerne Ihre persönliche und individuell auf Ihre Reise abgestimmte Reiseapotheke zusammen.

Weitere Informationen finden Sie unter www.toppharm.ch

Exotisch. Paradiesisch. Karibisch.

Entdecken Sie an Bord der Mein Schi 1 die tropischen Inseln der Karibik sowie die traumha e Küste Mittelamerikas in einer zweiwöchigen Wohlfühlkreuzfahrt.

Türkisblaues Wasser, weisser Zuckersand, Palmen überall und ein endlos erscheinender Himmel: Schon der erste Tag der 15-tägigen Mein Schi ® Kreuzfahrt «Best of Mittelamerika» lässt keinen Zweifel daran, wo die Passagiere gelandet sind: im Paradies! Genauer gesagt in der Karibik, und zwar in La Romana, einem kleinen Ort im Südosten der Dominikanischen Republik. Dort startet die Premium-Seereise an Bord der Mein Schi 1 nach einem komfortablen Charterflug aus Frankfurt. Und dort gehen die Passagiere nach einer unvergesslichen Rundreise durch das Karibische Meer mit Stationen in Mexiko, Belize, Honduras, Costa Rica, Panama, Kolumbien und auf Jamaika nach 14 Nächten wieder von Bord. Im Gepäck einen riesigen Fundus an Erlebnissen und Eindrücken, die sie ihr ganzes Leben in bester Erinnerung haben werden.

Bevor die Mein Schi 1 am späten Abend des Anreisetages von der Dominikanischen Republik in See sticht, lässt sich noch die Insel erkunden oder ein Ausflug zu den umliegenden Trauminseln Isla Saona oder Isla Catalina unternehmen. Während die Reiseteilnehmer nach Onboarding und Willkommensdrink irgendwann entspannt in den Schlaf geschaukelt werden, hat das Schi schon Kurs auf Jamaika genommen. Dort erwarten die Passagiere zwei volle Tage fantastische Natur, traumha e Strände, spektakuläre Tauchgebiete und quirliges Leben in und um Montego Bay und Ocho Rios.

Von Jamaika aus geht die Reise weiter nach Mexiko, wo auf der berühmten Insel Cozumel und an der malerischen Küstenregion Costa Maya karibisches Strand- und Unterwasserleben sowie historische Stätten der Maya-Hochkultur erkundet werden. Am 7. Reisetag wird der Anker vor der Hauptstadt

15 Tage «Best of Mittelamerika» 14. – 28. Februar 2025 & 28. März – 11. April 2025, ab CHF 3’419.– p.P.

Aufpreis Flug ab Zürich: +310.- CHF Hin- & Zurück

Bei Buchungen bis 31.07.24 sind 100.- EUR Bordguthaben pro Kabine inbegri en.

von Belize geworfen, wo Ausflüge zu im Dschungel verborgenen, historischen Maya-Stätten auf dem Programm stehen. Der folgende Tag lässt auf der Inselgruppe Islas de la Bahía vor Honduras den karibischen Traum endgültig wahr werden: Palmenstrände, Korallenri e und Dschungelpfade voller Kolibris, Papageien und A en laden ein, die tropische Vielfalt zu erkunden – zu Fuss oder in Form atemberaubender Kajak-, Tauch- oder Schnorchelabenteuer. Weiter geht‘s nach Costa Rica, wo die Landgänger von dessen Küstenort Puerto Limón in die farbenfrohe, exotische Flora und Fauna des faszinierenden Landes eintauchen.

Ein besonderes Highlight einer Kreuzfahrt im Karibischen Meer ist die Besichtigung des – o als 8. Weltwunder gepriesenen – Panamakanals. Alternativ bieten die moderne Metropole Panama-City oder der beeindruckende Regenwald grossartige Ausflugsmöglichkeiten vom panamaischen Colón aus. Als letzte Etappe der paradiesischen Rundreise steht Kolumbien auf dem Programm. Die schöne Kolonialstadt Cartagena entzückt mit einer bunten Altstadt und umliegenden Mangrovenwäldern, deren zahlreiche Vogelarten und Leguane vom Kanu aus bewundert werden können. Ein wenig Wehmut ist dann schon dabei, wenn die Mein Schi 1 an Tag 14 wieder Kurs auf La Romana nimmt, wo am nächsten Tag der Flieger Richtung Frankfurt starten wird.

Neben solch beeindruckenden Landgängen bietet eine Kreuzfahrt natürlich on top ein abwechslungsreiches Bordleben. Insbesondere an den Seetagen erwartet die Gäste ein Füllhorn an Entspannung, Unterhaltung und

Premium-Service auf dem Wohlfühlschi . Mit einem Cappuccino in der Hand den Sonnenaufgang erleben, um dann am persönlichen Lieblingsplatz auf dem Sonnendeck die frische Meeresbrise und den endlosen Blick auf den Ozean zu geniessen, ist schon ziemlich paradiesisch. Pool, Whirlpools und Spa-Bereich laden zum Relaxen ein, während aktivere Gäste einer Fülle von Sport- und Freizeitmöglichkeiten frönen können. Wenn die Sonne hinter dem Horizont versinkt und der Himmel in einem spektakulären Farbenspiel erstrahlt, fällt der Startschuss für eine abwechslungsreiche Abendunterhaltung. Exquisite Abendessen in eleganten Restaurants verwöhnen den Gaumen mit einer Vielzahl kulinarischer wie karibischer Köstlichkeiten. Von stimmungsvoller Live-Musik umgeben, lässt sich mit Blick auf das endlose Karibische Meer und einem Cocktail in der Hand der Tag stilvoll verabschieden.

Beratung & Buchung: Cruisetour AG

Augustinergasse 17 | 8001 Zürich Telefon: 044 289 81 81 info@cruisetour.ch www.cruisetour.ch

Im Walter Zoo wartet an jeder Ecke eine Überraschung. Tiger, Zebras, Schimpansen, Kleine Pandas, Papageien: Unvergessliche Einblicke in die Tierwelt sind garantiert. Dem Alltag entfliehen – mit einem Ausflug in den Walter Zoo in Gossau SG.

walterzoo.ch

Den Zeichen der Zeit entgegenwirken

Ob im Beruf oder Alltag: Stress ist für Viele ein ständiger Begleiter. Neben dem physischen und psychischen Stress ist aber häufig auch oxidativer Stress präsent – mit negativen Folgen für den Alterungsprozess.

Text: Nadine Wagner

Foto: Diana Polekhina/unsplash

Oxidativer Stress entsteht lt. chemischer Definition dann, wenn ein Ungleichgewicht zwischen freien Radikalen (Oxidantien) und antioxidativ wirkenden Molekülen (Antioxidantien) vorliegt. Nehmen freie Radikale überhand – hierzu zählen u. a. Umweltgifte wie Feinstaub und Abgase, Alkohol, Nikotin oder auch Sonnenlicht –, können sie Zellen und Moleküle im Körper schädigen; sie verlieren dann ihre Funktion, altern schneller oder sterben ab. Zwar sind freie Radikale nicht per se problematisch, sondern ein natürlicher Begleiter diverser Stoffwechselprozesse, langfristig beschleunigt oxidativer Stress aber den Alterungsprozess, schwächt das Immunsystem und begünstigt die Entstehung von Krankheiten.

Um die Körperzellen vor deren vorzeitiger Alterung zu schützen, sollten die freien Radikale mithilfe von Antioxidantien, den sogenannten Radikalfängern, gebunden werden, denn letztlich schafft es ein solches Antioxidans, die Kettenreaktion der freien Radikale im Körper zu unterbrechen und Zellschäden frühzeitig abzuwenden.

Neben einer ausgewogenen Ernährung können Nahrungsergänzungsmittel dabei helfen, den Bedarf an Antioxidantien und wichtigen Spurenelementen zu decken.

Als wichtigste Quelle für Antioxidantien gilt eine ausgewogene Ernährung mit einer Fülle an frischem Obst und Gemüse.

Als wichtigste Quelle für Antioxidantien gilt eine ausgewogene Ernährung mit einer Fülle an frischem Obst und Gemüse. Wertvolle Lebensmittel, die reichlich Antioxidantien wie Vitamine, sekundäre Pflanzenstoffe (Polyphenole) und Mineralstoffe enthalten, sind unter anderem Hagebutte, Granatapfel und Melone. Ersterer ist ein starker Verbündeter gegen oxidativen Stress aufgrund dessen hoher Konzentration an Flavonoiden, Vitamin C und spezifischen Galaktolipiden. Ebenso wie grüner Tee, welcher mitunter viele Polyphenole enthält, helfen die Früchte dabei, Entzündungen zu lindern, den Blutdruck zu senken und das Immunsystem zu stärken. Unterdessen hilft die in Granatäpfeln enthaltene Ellagsäure, Giftstoffe im Körper zu beseitigen und ist besonders nützlich für die Hautgesundheit, insbesondere bei UV-Schäden. Die Inhaltsstoffe der Melone begrenzen hingegen mentale und muskuläre Müdigkeit.

Die hier vorkommenden Alpenpflanzen

Edelweiss und Gelber Enzian wirken derweil schmerzlindernd; ihr Verzehr ist daher vor allem bei jeglichen Gelenkerkrankungen wie Rheuma von Vorteil.

Aussergewöhnlich komplett für die Frau und den Mann.

ExtraCell Woman

Haut, Haare und Wohlbefinden

Die moderne Ernährung und eigene Gewohnheiten ziehen schnell mal eine Unterversorgung nach sich, hier können Nahrungsergänzungsmittel unterstützen.

Neben einer ausgewogenen Ernährung können Nahrungsergänzungsmittel dabei helfen, den Bedarf an Antioxidantien und wichtigen Spurenelementen zu decken. Besonders in Zeiten erhöhten (äusserlichen) Stresses können diese unterstützend wirken und die Zellgesundheit fördern. Hier eignen sich am besten Kombi-Präparate mit den Vitaminen C und E, dem Coenzym Q10 sowie den Spurenelementen Zink und Selen. Eine persönliche Beratung in Apotheken oder Drogerien zu qualitativ hochwertigen Formulierungen aus Schweizer Produktion ist hierbei empfehlenswert.

4 Tipps für ein besseres oxidatives Gleichgewicht

• 5 am Tag: Mit dieser Menge an Obst und Gemüse können freie Radikale unschädlich gemacht werden

• «Eat the rainbow»: Sekundäre Pflanzenstoffe bringen Farbe auf den Teller und geben oxidativem Stress keine Chance

• Fitte Fette: Omega-3-Fettsäuren in Fisch & Nüssen wirken anti-entzündlich

• Volle Power dank vollem Korn: Vollkornprodukte und Hülsenfrüchte liefern wichtige Vitamine

ANZEIGE - ADVERTORIAL

Mit 30+ Inhaltsstoffen, trägt die komplette Formulierung von ExtraCellWoman zur Erhaltung der normalen Körperfunktionen bei. Beispielsweise des Immunsystems, des Nervensystems, des Fettstoffwechsels, des Cholesterinspiegels, des Blutzuckerspiegels, der Leberfunktion, der Knochenmatrix, der Muskeln, der Energie, der Haut, des Bindegewebes, der Haare und Nägel.

ExtraCell Man

Vitalität, Energie, Haut und Haare

Die komplette Formulierung mit 40+ Inhaltsstoffen, die zur Erhaltung verschiedener Funktionen des Körpers beitragen, beispielsweise des Testosteronspiegels, der Fruchtbarkeit, der Spermabildung und Reproduktion, sowie der Haut, Schleimhaut, Hautpigmentierung, Bindegewebe, Haare und Nägel. Ebenso trägt es zum Erhalt der Muskulatur, des Energiestoffwechsels, des Nervensystems, der kognitiven Funktionen, sowie der geistigen Leistung, des Immunsystems, der Sehkraft, des Cholesterinspiegels, des Fettstoffwechsels und der Leberfunktion bei.

Diese Nahrungsergänzungsmittel sind in Apotheken und Drogerien erhältlich.

12 Tage ab CHF 7596.–pro Person*

Höhepunkte der Antarktis.

Erkunden Sie die atemberaubenden Eislandschaften der Antarktis, die von den rauen Kräften der Natur geformt wurden. Erleben Sie bei unseren Anlandungen Landschaften, die zu den schönsten auf unserem gesamten Planeten gehören. Sehen Sie spektakuläre Wildtiere, darunter die berühmten Pinguine, Wale und Robben der Antarktis.

Reiseprogramm

Tag 1: Individuelle Anreise Buenos Aires, Hotelnacht

Tag 2: Flug nach Ushuaia

Tag 3 – 4: Die Wissenschaft im Fokus

Tag 5 – 9: Erkundung der beeindruckenden Landschaft und Tierwelt der faszinierenden Antarktis

Tag 10 – 11: Der Weg zurück in die Zivilisation

Tag 12: Rückflug nach Buenos Aires

Preis und Reisedatum

• *Beispielpreis für Buchung bis 30.6.24 und Abfahrt am 30.10.2025 in einer Basis Doppelkabine aussen.

Abreisetermine

• 33 Abfahrten zwischen November 2024 und März 2026

Inbegriffene Leistungen

• Hin- und Rückflüge in der Economy-Class zwischen Buenos Aires und Ushuaia

• Vor der Expeditions-Seereise Übernachtung in Buenos Aires, inklusive Frühstück

• Transfer vom Hotel zum Flughafen vor der Expeditions-Seereise

• Transfers vom Flughafen zum Schiff, einschliesslich einer kurzen Stadtrundfahrt

• Vollpension inkl. Getränken im Restaurant Aune

• Internationale Küche im Restaurant Fredheim

• A-la-carte Restaurant Lindstrøm (für Suitengäste inbegriffen) Wasser, Kaffee und Tee rund um die Uhr

• WLAN

• Deutschsprachiges Expeditionsteam

• Fahrten und Anlandungen mit Expeditionsbooten

• Begrüssungs- und Abschiedsveranstaltung

• Kostenloser Verleih von Gummistiefeln und Trekkingstöcken

Nicht inbegriffene Leistungen

• Internationale Flüge nach Buenos Aires

• Annullationskostenversicherung

• Optionale Landausflüge

Glur Reisen

Spalenring 111, 4009 Basel

E-Mail: reisen@glur.ch

Telefon: 061 205 94 94 www.glur.ch

GROSSES INTERVIEW

Eiskunst-Königin Denise Biellmann verrät, wie sie Körper und Geist fit hält und,dass in ihr Bircher Müsli doppelt Schlagsahne gehört.

Text: Kirsten Schwieger

Foto: : Remo Neuhaus

Was hat Sie dazu bewegt, mit 61 Jahren noch einmal bei Holiday on Ice mitzumachen?

Man hat mich für das 80-jährige Jubiläum von Holiday on Ice in Berlin angefragt und der Name der Show, «No Limits», passte einfach zu gut. Nach 20 Jahren so ein Comeback zu geben, ist schon eine spannende Geschichte. Und sie wussten ja, dass ich noch im Training bin und deswegen haben die drei Monate Vorlaufzeit gereicht. Für die Show habe ich mein tägliches Training auf dem Eis noch etwas gesteigert und in den letzten Wochen den Unterricht, den ich selbst gebe, wegfallen lassen, um mich voll auf die Show zu konzentrieren.

Wie halten Sie sich normalerweise fit?

Ich trainiere jeden Vormittag auf dem Eis und zu Hause noch mit Gewichten und Gummis, also Kettlebell, Powerbands & Co. Ausserdem mache ich noch Tae Bo als Gruppentraining. Am Nachmittag unterrichte ich junge Eislauftalente auf dem Eis und abends Konditionstrainings, wo ich viele der Übungen auch mitmache. Beispielsweise HIIT-Training, also ein hochintensives Ganzkörper-Intervalltraining, mal mit und mal ohne Gewichte. Ausserdem laufe ich jeden Sonntag zehn Kilometer.

Wie überwinden Sie Ihren inneren Schweinehund – oder haben Sie gar keinen?

Also mir fällt es tatsächlich nicht so schwer, weil ich das Gefühl liebe, sich auszupowern.

Fakten

Jungbrunnen ewiges Eis

Und ich weiss ja, wie gut man sich nachher fühlt – wenn der Kreislauf so richtig hochgefahren und ordentlich Adrenalin ausgeschüttet wurde. Bei mir ist natürlich viel Routine und Selbstdisziplin im Spiel. Wenn ich mir vornehme, nachmittags Konditionstraining zu machen, dann muss ich es durchziehen, um mich nicht wie ein Loser zu fühlen.

Wie ernähren Sie sich?

Gesund: viel Salate, Gemüse, Obst aber auch Kartoffeln und andere Kohlenhydrate, die brauche ich für den Sport. Ausserdem gönne ich mir jeden Tag zwei Reihen dunkle Schokolade.

Gibt es vielleicht noch ein anderes Geheimnis Ihrer «ewigen Jugend»?

Wahrscheinlich habe ich auch gute Gene. Meine Mutter ist 93 und für ihr Alter noch unglaublich fit. Aber sie macht auch jeden Morgen ihre Übungen und lässt sich nicht hängen. Dass ich viel mit jungen Menschen zusammenarbeite und immer in Action bin, hält mich ebenfalls jung – auch im Kopf.

Welche Rolle spielt erholsamer Schlaf und bewusste Regeneration?

Meine acht Stunden Schlaf brauche ich schon regelmässig. Und ich gönne mir einmal die Woche eine Fussreflexzonenmassage oder eine Sportmassage. Auch Physiotherapie steht bei mir öfter auf dem Plan.

Können Sie auch mal loslassen und feiern? Ja, alle drei Monate ziehe ich mit meinen «Ausgehfreunden» los. Das ist dann immer sehr lustig, aber danach bin ich auch froh, wieder in meine Welt zurückzukehren.

Wie sieht es aus mit Urlaub?

Im Frühling und im Sommer mache ich zwei Wochen Pause, im Herbst eine Woche. Im Sommer fahren wir dann auch mal weg,

Die berühmte – nach ihr benannte – Biellmann-Pirouette schafft die 61-Jährige noch immer. In Sachen Sehnsuchtsorte muss die gebürtige Zürcherin nicht in die Ferne schweifen: Für ihr Glück braucht es nur den Zürichsee in den Morgenstunden bei Sonne oder ihr Lieblingscafé mit Blick auf die Limmat. Speiseeis lässt die Eisprinzessin dagegen kalt – sie schwört auf Bircher Müsli mit doppelt Schlagsahne.

Italien oder Mallorca, höchstens noch die Kanarischen Inseln, damit wir nicht so weit fliegen müssen. Meine Fitnesssachen nehme ich dann immer mit oder gehe ins Fitnesscenter vom Hotel.

Welchen sommerlichen Lieblingsaktivitäten frönen Sie?

Ich gehe sehr gerne an den Zürichsee. Im Sommer fast jeden Morgen, da tanke ich meine Energie für den Tag.

Wie verbringen Sie Zeit mit Familie und Freunden?

Bis auf Mittwoch frühstücke ich jeden Morgen mit meiner Mutter, entweder bei ihr oder in einem schönen Café. Wir sind uns sehr nahe. Mit einer langjährigen Freundin gehe ich alle zwei Wochen essen. Ansonsten laden mein Partner und ich ab und zu Freunde zum Essen ein. Oder wir machen es uns zu zweit mit Take-Away von unserem Lieblingsinder gemütlich.

Haben Sie tatsächlich vor, mit 70 Ihrem langjährigen Lebenspartner zum 2. Mal das Ja-Wort zu geben?

Das ist theoretisch schon irgendwie der Plan. Aber momentan haben wir gar keine Zeit dafür. Wir werden es spüren, wenn es so weit ist.

Haben Sie keine Probleme mit dem Älterwerden?

Also ich fühle mich sehr, sehr wohl. Ich bin ein Mensch, der in der Gegenwart lebt. Ich sehe, dass ich älter werde, aber gräme mich nicht wegen Falten oder so. Ich freue mich irgendwie, älter zu werden – wenn man jung ist, hat man immer das Gefühl, etwas zu verpassen. Mein Ziel ist, dass ich das alles so wie jetzt mitnehmen kann ins Älterwerden, also meine Beweglichkeit und Gesundheit. Ich möchte auch richtig alt werden. Dann hätte ich auch endlich mal mehr Zeit ;-)

Wie alt fühlen Sie sich?

Definitiv nicht wie 61. Ich glaube, ich fühle mich vielleicht wie 40 oder so. Wenn ich auf dem Eis bin, dann fühle ich mich wie 20.

Dr. med. dent. Judith Aufenanger, Expertin für ästhetische Zahnmedizin aus Küsnacht (Kanton Zürich)

Die Nachfrage nach ästhetischen Zahnkorrekturen steigt. Ist das auch was für Best Ager? Ja, unbedingt. Viele Menschen in der zweiten Lebenshälfte unterziehen sich einer Aligner-Zahnspangenbehandlung oder Veneertherapie. Gerade in diesem Alter treten viele Veränderungen im Körper auf und man beginnt, sich nach neuer Anerkennung und Attraktivität zu sehnen. Da liegt es nahe, sich ein wundervolles Lachen ins Gesicht zaubern zu lassen.

Was ist der Unterschied zwischen Veneers und Alignern?

Aligner-Zahnspangen sind durchsichtige Zahnschienen, die die Zähne Schritt für Schritt verschieben und begradigen. Das dauert zwischen sechs und 24 Monaten. Bei Veneers handelt es sich um hauchdünne Keramikschalen, die auf die Frontflächen der Zähne geklebt werden. Mit Veneers kann man auch leichte Stellungskorrekturen durchführen und zusätzlich die Zahnform und -farbe verbessern.

Warum gehört diese Form der zahnärztlichen Behandlung in Expertenhände?

Egal welche Therapie, ein Experte ist ein Profi auf seinem Gebiet. Er kann Risiken und Komplikationen einschätzen, sieht mögliche Probleme von Anfang an und weiss, wie er die Zähne zu behandeln hat, damit es langfristig ein Erfolg wird. Einem Freund, der seine Zähne im Ausland machen liess, ist gerade zum zehnten Mal etwas an den neuen Zähnen abgebrochen. Als ich mir seinen Biss anschaute, wusste ich: Das kann nicht funktionieren. Text: Chan Sidki-Lundius, Foto: Presse

FRAGEN AN DR. MED. DENT. JUDITH AUFENANGER
DENISE BIELLMANN

ÖNNEN WIR UNSERE LONGEVITY POSITIV BEEINFLUSSEN UND EIN LANGES LEBEN IN GESUNDHEIT FÜHREN?

Wir alle streben nach einem gesunden und langen Leben. In unserer heutigen Zeit, in der Stress und Hektik allgegenwärtig sind, wird es zunehmend schwieriger, einen gesunden Lebensstil zu führen und somit unser Wohlbefinden zu erhalten. Durch die moderne Wissenschaft wird der Aspekt eines langen gesunden Lebens – heutzutage bezeichnet als Longevity – immer zielgerichteter in den Fokus gebracht.

Welcher Aspekt beeinflusst massgeblich unsere Lebenserwartung?

Weltweite Langzeitbeobachtungen haben nun eine spannende Erkenntnis gebracht. Es gibt signifikante Unterschiede in der Lebenserwartung, wenn wir einzelne Regionen betrachten. Es hat sich herausgestellt, dass die ältesten Menschen der Erde in den sogenannten Blue Zones (Okinawa in Japan, Sardinien in Italien, Nicoya-Halbinsel in Costa Rica, Ikaria in Griechenland) leben. Ein elementarer Faktor in Punkto Lebenserwartung liegt bei den Einwohnern in der Ernährung begründet. Dabei hat sich herausgestellt, dass zum einen die pflanzlich mediterrane und zum anderen die asiatisch geprägte Ernährungsform in Kombination mit ungesättigten Fettsäuren die optimale Variante an Nährstoffversorgung darstellt. Besonders im asiatischen Raum wurde schon vor tau-

LEBENDIG EIN LEBEN LANG

LONGEVITY BOOSTING

WAS SIE ÜBER REGULATPRO® BIO WISSEN SOLLTEN!

NATÜRLICH

OHNE

Regulatpro® Bio kommt ohne Zuckerzusatz aus, ist glutenund laktosefrei und zudem frei von Konservierungsstoffen.

senden von Jahren die Bedeutung von fermentierten Lebensmitteln und deren Nutzen erkannt.

Longevity positiv lenken – dank fermentierten Schätzen aus der Natur Dieser Erkenntnis folgend hat Dr. Hans Niedermaier, Naturwissenschaftler und Apotheker, im Jahre 1939 ein revolutionäres Verfahren entwickelt, das bis heute besteht: Die dem menschlichen Organismus nachempfundene Kaskadenfermentation. Hierbei wird eine Selektion wertvoller, sonnengereifter Obst- und Gemüsesorten und weiterer pflanzenbasierter Zutaten, welche vor allem in der asiatischen als auch in der mediterranen Küche vorkommen, dreifach fermentiert. Die pflanzlichen Zutaten werden durch diesen innovativen Prozess auf Molekularebene aufgespalten und können somit besonders gut vom Körper aufgenommen werden. Das Resultat der Kaskadenfermentation nannte er REGULATESSENZ®. Diese finden wir heute vollumfänglich in dem Produkt Regulatpro® Bio. Dank dieses Vordenkers, der sich bereits vor vielen Jahren mit der Frage

beschäftigt hat, wie wir unser Wohlergehen massgeblich auf natürliche Weise aufrechterhalten, können wir täglich eine Dosis Gesundheit, Leistungsfähigkeit und Vitalität zu uns nehmen. Das Beste: Wir beeinflussen gleichzeitig unsere Longevity positiv. Bleiben Sie lebendig, ein Leben lang.

ANWENDUNGSTIPPS:

Regulatpro® Bio kann als Allrounder innerlich und äusserlich z. B. zur Behandlung von Wunden, Ausschlägen und Verbrennungen angewandt werden.

Regulatpro® Bio kann aufgrund seiner guten Verträglichkeit und rein natürlichen, biologischen Zusammensetzung bei Kleinkindern bis Senioren eingesetzt werden.

Regulatpro® Bio am besten pur 20 Min. vor einer Mahlzeit einnehmen und bei Bedarf in Säften gemischt.

«Auf den Körper hören»

ERNÄHRUNG

TV-Koch, Gastronom & Kochbuchautor René Schudel verrät im Interview seine Geheimnisse für eine gesunde Ernährung.

Text: Nadine Wagner Foto: Jonathan Borba/unsplash

Mit steigendem Lebensalter ändern sich die Anforderungen an unsere Ernährung. Der Energiebedarf sinkt, doch die Zufuhr von Vitaminen und Mineralstoffen bleibt unverändert wichtig. Um diesen veränderten Bedürfnissen gerecht zu werden, muss die Nährstoffdichte erhöht werden, was eine mikronährstoffreiche Kost erforderlich macht. An den allgemeinen Ernährungsempfehlungen ändert sich jedoch erstmal nichts: Weiterhin stehen viel Gemüse, Hülsenfrüchte, Vollkornprodukte, Obst, Nüsse sowie fettarme Milchund Fleischprodukte auf dem Speiseplan.

Fernsehkoch René Schudel setzt ebenfalls auf eine abwechslungsreiche Küche: «Ein echter Allrounder ist aber bspw. die Kartoffel», erklärt er. «Damit kann man einfach endlos viele Gerichte zaubern!» Auch ande -

Generell darf die Geselligkeit nicht verloren gehen beim Essen –das macht auch gut verdaulich!

res Wurzelgemüse wie Rüben, Randen oder Radiesli sind laut Schudel empfehlenswert, da sie mitunter reich an Vitaminen und Mineralstoffen und daher besonders nahrhaft und gesund sind. «Die Schlüssel zu einer gesunden, ausgewogenen Ernährung bleiben in erster Linie jedoch saisonale und regionale Lebensmittel», betont Schudel. Eine bewusste Wahl von Nahrungsmitteln ist dabei nicht nur für das eigene Wohlbefinden wichtig: «Je exotischer ich esse, desto mehr belaste ich unser System und unsere Umwelt. Wir haben eine grosse Verantwortung beim Konsum. Das Grosse und Ganze sollte immer beachtet werden.»

Gerade im Sommer verändert sich unser Appetit oft und viele neigen dazu, weniger zu essen. Schudel empfiehlt hier, mehrere kleinere Mahlzeiten zu sich zu nehmen und dabei vor allem auf Proteine und fettärmere Produkte zu setzen. «Wichtig ist, sich trotz der Hitze auch mal etwas Warmes zu gönnen und nicht immer nur Salat zu essen», rät er. Denn letztlich muss alles, was wir zu uns nehmen, zunächst auf Körpertemperatur gebracht werden – das strengt den Körper zusätzlich an. Bei Schudel darf es deshalb auch schon mal das traditionelle Schweizer Fondue sein. «Wir essen Fondue eigentlich immer im Sommer! Mit einem coolen BBQ, viel Gemüse, Salaten und Grillgut natürlich.» Grillen und Fondue essen sind gesellige Aktivitäten, die laut ihm hervorragend zusammenpassen. «Generell darf die Geselligkeit nicht verloren gehen beim Essen – das macht auch gut verdau-

Eine bewusste Wahl von Nahrungsmitteln ist nicht nur für das eigene Wohlbefinden wichtig.

lich!», betont er weiter. Gemeinsames Essen führt nämlich dazu, dass man langsamer isst und mehrere Sinne gleichzeitig anspricht, was zu einem schnelleren Gefühl der Sättigung und Zufriedenheit führt. Insbesondere ältere Menschen sind aufgrund abnehmender Leistungsfähigkeit des Magen-Darm-Traktes häufig anfälliger für Verdauungsstörungen.

Neben einer ausgewogenen und genussvollen Ernährung gilt eine aktive Lebensgestaltung mit vielen sozialen Kontakten und Erlebnissen als eine der besten Grundlagen für ein gesundes Älterwerden. «Grundsätzlich lautet meine Philosophie aber: ‘Auf den Körper hören!’ Der sagt meistens sehr genau, was er will. Wenn man also Lust auf etwas Süsses hat, dann sollte man sich das auch mal gönnen. Eine gesunde, ausgewogene Ernährung heisst letztlich für mich, die Wahl einer möglichst vielfältigen

Küche: mit Fisch, Fleisch, Gemüse und ein paar Leckereien zwischendurch.»

Eine gesunde, ausgewogene Ernährung heisst letztlich für mich, die Wahl einer möglichst vielfältigen Küche.

Fakten

Auf dem YouTube-Kanal des berühmten TV-Kochs sind bereits die ersten drei Folgen der neuen Staffel «Schudel’s Food Stories» zu sehen. Dabei geht es vor allem um das Kochen und die Inspiration für geschmackvolle Gerichte. Im Sommer ist er ausserdem viel auf Festivals unterwegs und kocht dort Backstage für diverse (Rock-)Bands.

ANZEIGE - ADVERTORIAL

It`s simply about espresso

In Murten wird Kaffee gelebt. Als off izieller Importeur der führenden Kaffeemaschinenhersteller haben wir uns viel Expertise angeeignet. Unser sechsköpfiges Team berät Sie nicht nur beim Kauf Ihrer Siebträgermaschine, es ist gleichzeitig zuständig für Service und Instandhaltung ihres liebsten Küchengeräts.

nahmen im vergangenen Jahr zu.

Geben macht glücklich

Warum spenden sich für alle lohnt.

Text: Julia Butz

Foto: Khaled Akacha/pexels

Eigentlich widerspricht dem Geben ohne Gegenleistung dem rational und wirtschaftlich denkenden Menschen. Denn nach dem Modell des «Homo oeconomicus» würden wir nur das tun, was uns auch maximal nützt. Warum also sollte man spenden, insbesondere für Menschen, die einem völlig unbekannt sind?

Weil es sich einfach gut anfühlt, Gutes zu tun. Es beflügelt, wenn wir anderen helfen. Das Belohnungszentrum im Gehirn wird aktiviert, Glücksbotenstoffe werden freigesetzt. Somit macht langfristig gesehen

Spendende erfahren positive Gefühle. Und leisten einen wertvollen Beitrag.

Geben sehr viel zufriedener als Nehmen. Dies schliesst auch rein finanzielle Unterstützung in Form von Spenden mit ein. Spendende erfahren positive Gefühle. Und leisten einen wertvollen Beitrag.

Denn sie bewirken direkte Hilfe für Menschen in Not, retten Leben und lindern Leid bei aktuellen Notlagen, die Menschen nicht allein bewältigen können. Zu den Grundversorgungsmitteln gehören dabei nahrhaftes Essen, sauberes Wasser und ein sicheres Zuhause. Ausserdem lebensnotwendige Medikamente, Mittel für Behandlung, Rehabilitation oder andere Hilfsmittel. In vielen Ländern fehlt es z. B. an finanziellen Mitteln, um Kindern nötige Therapien und Behandlung geben zu können, obwohl diese vor Ort möglich wären. Denn die hohen Behandlungskosten werden nicht staatlich subventioniert und können von den meisten Familien nicht aufgebracht werden. Sich den Schwächsten und Kleinsten, die dringend Hilfe benötigen, zu widmen – das ist Zeichen direkter Nächstenliebe.

«Ich bin verzweifelt. Seit Jahren habe ich keinen Kontakt mehr zu meiner Tochter. Wir haben uns wegen einer familiären Angelegenheit zerstritten, seit damals herrscht Funkstille. Mein Schwiegersohn würde gerne vermitteln, kann aber nichts gegen den Willen meiner Tochter/seiner Frau unternehmen. Ich vermisse meine Tochter und meine Enkelkinder und den unbeschwerten Umgang mit ihnen – so wie es früher einmal war. Können Sie mir helfen?»

Dies ist nur eine Meldung von 616 im vergangenen Jahr, welche die Anlaufstelle der UBA entgegennahm. Die Mitarbeiterinnen der Anlaufstelle nehmen sich Zeit für die Anliegen von Unterstützung suchenden, älteren Menschen. Freiwillig tätige Fachpersonen aus den Bereichen Medizin, Recht, Pflege, Versicherungs-, Gesundheits-, Sozialversicherungs-, Heimwesen und Mediation arbeiten gemeinsam mit den in einen Konflikt Involvierten an Lösungen.

Helfen, um zu helfen. Mit dem Wissen, etwas bewirken zu können. Manch einer denkt sich: Was für einen Unterschied machen meine paar Franken schon? Aber auch, wenn es sich dabei nur um einen kleinen Geldbetrag handelt: Gemeinsam und regelmässig kann Grosses bewirkt werden. Dies betonen auch viele der Hilfsorganisationen, die auf möglichst viele Spendende angewiesen sind. Ein kleiner Beitrag kann viel bewirken. Darüber sollte man sich immer bewusst sein. Eine Spende ist ein positiver Beitrag, unabhängig von der Höhe des Geldbetrags. Regelmässige Spenden führen zudem dazu, Organisationen in der langfristigen Planung zur Durchführung von Projekten noch besser zu unterstützen. Insofern ist eine Spende nicht nur ein Geschenk, sondern eine Investition in ein sinnvolles Projekt, für eine nachhaltige Veränderung eines oder vieler Menschen. Als Mission, so vielen Kindern wie möglich weltweit die Chance auf eine bessere Zukunft zu geben. Bei der Wahl, an welche Organisation man spenden möchte, sollte man bewusst die auswählen, die das

eigene Thema aufgreift bzw. dem eigenen Herzensthema entsprechen. Eines aber ist allen Spenden gemeinsam: Man hilft immer jemandem, der weniger hat als man selbst.

Und immer daran denken: Spenden bringt nachhaltige Freude. Denn das Glücksgefühl hält sehr viel länger an, als wenn man sich selbst etwas kauft. Also: Geben macht glücklich!

Fakten

Die Schweiz ist im Vergleich zu anderen Ländern ein sehr spendenfreundliches Land und belegt laut «Charities Aid Foundation» Platz 13 der 130 wohltätigen Länder. Nach aktuellem World Giving Index haben 4.2 Mrd. Menschen weltweit einem fremden Menschen geholfen oder Geld für einen guten Zweck gespendet.

Hilfe für ältere Menschen in Konflikt- und Gewaltsituationen. Vertraulich. Kompetent. Kostenlos.

• Bei der Bewältigung von Konflikten in allen Lebensbereichen, zum Beispiel innerhalb der Familie, mit Betreuungs- und Pflegepersonen oder in Bezug auf Krankenkassen- und anderen Abrechnungen.

• Unterstützung für von Misshandlung betroffene Menschen, insbesondere bei psychischer und physischer Gewalt, Grundrechtsverletzungen oder Medikamenten Probleme.

Unabhängige Beschwerdestelle für das Alter UBA www.uba.ch www.alterohnegewalt.ch

Anlaufstelle

Montag bis Freitag 14.00 bis 17.00 Uhr Telefon 0848 00 13 13

Helfen Sie. Für ein würdevolles Leben im Alter. Herzlichen Dank für Ihre Spende.

Teil eines grossen Ganzen

Zum Schutz der Umwelt

Der Erhalt und die Sicherung der Umwelt und Natur sind heutzutage wichtiger denn je. Und hierfür kann man sich bereits vor Ort für den Naturschutz einsetzen. Freiwilligenarbeit stellt dabei nicht nur einen elementaren Aspekt für lokale Umweltgruppen und Vereine dar, sondern bietet auch Helfern sowie Helferinnen vielfältige und abwechslungsreiche Möglichkeiten, sich zu engagieren.

Ein Zeichen der Nächstenliebe

Zum Wohl der Tiere Es ist nicht zu unterschätzen, was kleinere Spendenbeträge bewirken können. Denn auch kleinere Beträge tragen zur Förderung zahlreicher Projekte bei und unterstützen Organisationen bei der Umsetzung einer gemeinsamen VisionHelfen für einen guten Zweck. Mit bereits 5 CHF können beispielsweise über 30 Impfdosen gegen Polio verabreicht werden, womit selbst Kleinstbeträge helfen können, Kinderleben zu retten.

Geldspenden können neben der medizinischen Versorgung in vielen weiteren Bereichen eingesetzt werden, die von Bildung über Umweltschutz bis hin zur Unterstützung in akuten Notlagen reichen. Manche sind sich vielleicht unsicher, ob die Spende auch dort ankommt, wo sie ankommen soll. Doch hierbei helfen Zertifizierungsstellen sowie Organisationen, die Gütesiegel vergeben. Mithilfe dieser können Spender und Spenderinnen seriöse Hilfsorganisationen ausfindig machen und einen transparenten Einsatz der monetären Zuwendungen sicherstellen. Denn insbesondere Transparenz ist ein wichtiger Aspekt, um das Vertrauen derjenigen sicherzustellen, die sich engagieren möchten.

Unter anderem ist es möglich, z. B. bei Natureinsätzen mitzuwirken, um Naturschutzgebiete zu pflegen oder Teiche anzulegen. Darüber hinaus ist ebenfalls die Mitarbeit bei Events und die Unterstützung in der Öffentlichkeitsarbeit stets gefragt. Zudem gibt es auch einzelne Aktionen, wie den «Clean-up-Day», der im September 2024 stattfindet. Hier schliessen sich Gruppen zusammen und gehen gemeinsam gegen Umweltverschmutzung vor.

Interessierte können im Internet schnell und unkompliziert nach Naturschutzorganisationen im eigenen Kanton suchen. Bei der Vielzahl an verschiedenen Projekten kann jeder und jede das Passende für sich finden, um vor Ort einen Beitrag für den Naturschutz zu leisten.

Mit ZeitSpenden Kindern Gutes tun

83.5 Jahre oder 731‘460 Stunden – So lange leben Schweizer*innen im Schnitt. Wie nutzen wir diese Zeit? Und könnten wir sie besser investieren?

Wofür wir am meisten Zeit verwenden

Rund ein Drittel seines Lebens verbringt der Mensch mit Schlafen. Herr und Frau Schweizer liegen somit fast 28 Jahre im Bett. Gearbeitet wird einiges weniger: Bei einer Erwerbstätigkeit von 45 Jahren mit einer 42-Stunden-Woche kommen gerade mal 11 Jahre durch Arbeiten zusammen. Deutlich mehr Lebenszeit nehmen der TV- und Handykonsum: Im Schnitt sitzen Schweizer*innen rund 2 Stunden pro Tag vor dem Fernseher und verbringen rund 4 Stunden am Handy. So können sich, hochgerechnet ab dem 12. Lebensjahr, rund 18 Jahre Medienkonsum ansammeln*.

Zeit besser nutzen – nur wann?

Unter den Best Agern mag die Bildschirmzeit zwar um einiges geringer ausfallen. Doch auch aus ihrem Alltag sind Smartphone und Co nicht mehr wegzudenken. Zum Glück tun sich nach der Rushhour des

Ungerechtigkeiten, Schicksalsschläge und fehlende Ressourcen prägen das Leid zahlreicher Menschen. Es trifft dabei nicht nur uns selbst, sondern viele, denen wir auf den Strassen begegnen. Und genau dann, wenn es uns möglich ist, ist die gegenseitige Unterstützung ein Zeichen der Nächstenliebe. Nachbarschaftshilfe hat sich bereits als Form des Zusammenhalts etabliert. Ehrenamtliche können hier bei alltäglichen Aufgaben unterstützen, wie beim Erledigen des Einkaufs, der Kinderbetreuung oder der Organisation von Freizeitaktivitäten. Auch die gezielte Seniorenhilfe ist ein wertvoller Beitrag, um Bedürftigen im Haushalt zu helfen oder bei Arztbesuchen zu begleiten, wodurch auch der Einsamkeit im Alter entgegengewirkt werden kann. Zeit stellt in diesen Fällen neben monetären Spenden einen bedeutsamen Teil der Mithilfe dar, die auch den Helfenden ein Gefühl der Zufriedenheit und Dankbarkeit entgegenbringen kann. Das Internet oder der Besuch von Gemeinden und Seniorentreffs bieten in diesem Sinne erste Anhaltspunkte, um den Schritt Richtung Nächstenliebe zu gehen.

Lebens und spätestens ab dem Pensionsalter neue Zeitfenster auf. Diese späteren Lebensphasen bieten wertvolle Chancen, um mit alten Routinen zu brechen und das eigene Leben neu zu gestalten. Und die Ressourcen dazu haben viele Schweizer*innen. Ideale Voraussetzungen also, um das Beste aus seiner Zeit zu machen. Wie aber die neu gewonnene Freiheit sinnvoll nutzen?

Zeit spenden als Kovive-Betreuungspartner*in

Eine der wohl bereicherndsten Möglichkeiten ist, seine Zeit einem Menschen zu widmen, der Zuwendung benötigt. Genau dies tun Kovive-Betreuungs partner*innen: Sie sind für Kinder da, die nicht oder nur teilweise durch die eigene Familie betreut werden können. Mit ihrem Engagement schenken sie betroffenen Kindern während den Ferien, an Wochenenden oder über eine längerfristige Dauer ein zweites Zu-

Auch hinsichtlich des Tierschutzes gibt es Möglichkeiten, vor Ort aktiv zu werden. In Tierheimen oder Auffangdiensten kann man bei der Pflege sowie Versorgung der Tiere unterstützen. Rettungszentren bieten ebenfalls eine Option, da verletzte oder halterlose Tiere beispielsweise in Tierkliniken gefahren werden müssen. Doch neben der aktiven Versorgung der Tiere stellt Aufklärungsarbeit einen wichtigen Bestandteil des Tierschutzes dar. Bei Events werden regelmässig Helfende gesucht, die Flyer verteilen, Unterschriften für Petitionen sammeln und bei Demonstrationen ein Zeichen für das Wohl der Tiere setzen. Für diejenigen, die vielleicht nicht die zeitlichen Kapazitäten besitzen, aber dennoch was bewirken wollen, stellen Patenschaften eine wirksame Lösung dar. Hierbei wird z. B. die Versorgung und Verpflegung eines oder mehrerer Tiere für eine gewisse Laufzeit finanziert. Es ist unverkennbar, dass es zahlreiche Wege gibt, sich ehrenamtlich zu engagieren. Im gleichen Zuge bietet das Ehrenamt eine Chance, über sich hinauszuwachsen, neue Fähigkeiten zu erlernen und neue Kontakte zu knüpfen.

Texte: Jenny Brania

hause. Hiervon profitieren nicht nur die betreuten Kinder. Auch die Kovive-Betreuungspartner*innen wie etwa Erika Kocher (74) schöpfen viel Sinnhaftigkeit und Erfüllung aus ihrer Zeitspende:

«Dank meines Engagements bei Kovive kann ich meine Lebenserfahrungen, mein berufliches Können und Wissen und meine Empathie einbringen und weitergeben.»

Möchten auch Sie das Beste aus Ihrer Zeit machen und einen Teil davon einem Kind spenden?

Dann informieren Sie sich jetzt über das Engagement als Kovive-Betreuungspartner*in:

www.kovive.ch/betreuung-bieten

Schweizer Kinderhilfswerk Kovive

Unterlachenstrasse 12, 6005 Luzern www.kovive.ch, info@kovive.ch Spendenkonto: CH55 0900 0000 6002 3176 1

Noch mal kurz die Welt re en

Ihre Lebenserfahrung und Leidenschaft

sind gefragt: Bei BOS Schweiz können Sie sich aktiv für den Arten-, Regenwald- und Klimaschutz einsetzten. Sind Sie dabei?

Auf die Frage, wer oder was ihn zu Borneo Orangutan Survival (BOS) Schweiz führte, antwortet Ruedi Mögli strahlend: «Kopral und Shelton». Die herzzerreissenden Geschichten der beiden Orang-Utans liessen ihn einfach nicht mehr los. Kopral wurde illegal als Haustier gehalten, verletzte sich bei seiner Flucht über eine Stromleitung schwer und verlor beide Arme. Sheltons Wald wurde zerstört. Hunger trieb ihn auf eine Plantage, wo Bauern auf ihn schossen und ihn mit Säure übergossen. Er erblindete. Eine Operation rettete ihm zwar das Leben, doch er wollte sterben. Bis die Freundschaft zu Kopral ihn zurück ins Leben holte. Ein Engagement, das Wurzeln schlägt Gerade in Rente, reiste Ruedi Anfang 2023 bereits zum zweiten Mal als BOS SchweizVolontär in jene Rettungsstation, die Kopral und Shelton Zuflucht bot. Knapp 200 weitere

Orang-Utans und 75 Malaienbären versorgt BOS dort aktuell und bereitet sie, wenn möglich, auf ein Leben in Freiheit vor. «Von 18- bis zu 80-Jährigen hatten wir bei unseren Reisen schon alles dabei», freut sich Ruedi. Vor Ort pflanzte er den Regenwald von morgen, baute Fütterungsplattformen oder stellte «Enrichments» her (Beschäftigungsmöglichkeiten für Tiere in Käfigen und auf bewaldeten Flussinseln). Bisweilen schweisstreibend war das und zugleich «eine der besten Erfahrungen meines Lebens», fasst Ruedi zusammen.

Primaten helfen Primaten Heute engagiert er sich als ehrenamtliches Vorstandsmitglied von BOS Schweiz – der BOS-Partnerorganisation mit Sitz in Zürich. In Basel baute er eine BOS Schweiz-Zweigstelle auf. Warum? Weil er die Projekte von BOS persönlich kennt und ihn der holistische Ansatz überzeugt. Weil er etwas zurückgeben möchte. Und weil wir und zukünftige Generationen in einer Welt ohne die roten Waldmenschen und ihren Regenwald nicht überleben können. Orang-Utans gehören nämlich nicht nur zu

unseren nächsten Verwandten (wir teilen 97 % unserer DNA). Als «Gärtner des Waldes» und Schirmspezies übernehmen sie tatsächlich ökosystemrelevante Funktionen.

Als Orang-Utan-Pate erhält Ruedi regelmässig Updates über seine Schützlinge sowie die Fortschritte und die Herausforderungen in den BOS-Rettungsstationen. Diese Transparenz und Nähe zum Projekt ist selten. BOS ist eben keine reine Fundraising-Organisation, sondern betreibt tatsächlich zwei eigene Rettungsstationen, Waldschutz- und Umweltbildungsprogramme in Indonesien und in der Schweiz. «BOS ist das grösste Primatenschutzprogramm der Welt – und ich bin Teil davon», betont Ruedi stolz.

Für die jüngste Generation Hunderte Kinder geniessen jährlich in der Schweiz die BOS-Ferienkurse. Auf Wunsch bringt BOS Schweiz die legendären OrangUtan-Workshops sogar ins Klassenzimmer, um so auch die nächste Generation für den Artenund Regenwaldschutz zu sensibilisieren. Und damit diese und andere Kinder ab und zu ein Lebenszeichen direkt aus den Rettungsstationen erhalten, gibt es bei BOS Orang-Utan-Geschenkpatenschaften für Kinder zum reduzierten Preis von nur 15 Franken im Monat.

Sind auch Sie auf der Suche nach einem sinnvollen Geschenk für kleine oder grosse Umweltschützer:innen? Dann verschenken Sie eine Orang-Utan-Patenschaft oder werden

Bereit für ein Volontärabenteuer auf Borneo? Oder Kinder für den Artenund Regenwaldschutz begeistern und bei Ferienkursen helfen? Schreiben Sie uns an info@bos-schweiz.ch oder rufen Sie an unter 044 310 40 30 www.bos-schweiz.ch

Bei uns sind verletzte Alpenund Mauersegler in guten Händen

Jetzt ist Hochsaison bei den ehrenamtlichen Zugvogel-Retterinnen im Zürcher Unterland. Alpen- und Mauersegler leiden als Vögel im Siedlungsraum besonders unter naturferner Raumplanung. Der Insektenschwund ist eine weitere Herausforderung, ein fütterndes Seglerpaar benötigt bis zu 20 000 Fluginsekten täglich zur erfolgreichen Jungenaufzucht. Der Mangel

Sie selbst Gotti bzw. Götti. Helfen Sie lieber aktiv als Volontär oder Volontärin in der BOS Schweiz-Geschäftsstelle in Zürich oder in den Rettungsstationen auf Borneo mit? Dann melden Sie sich. Denn als Einzelne:r können wir viel bewegen. Für tatsächliche Veränderungen braucht es aber alle – uns und die zukünftigen Generationen.

Verbessern auch Sie mit BOS Schweiz die Welt und hinterlassen Sie Ihren grünen Fussabdruck. Besuchen Sie uns auf: www.bos-schweiz.ch

Hilfspakete spenden, statt Sinnloses schenken! Unterstützen Sie so die Rettungsstationen und schenken Sie auf Wunsch eine Urkunde dazu.

Grosi oder Grosspapi werden?

Ab 25 CHF/Monat übernehmen oder verschenken Sie eine Orang-Utan-Patenschaft.

an Nahrungsressourcen in Brutplatznähe zwingt die Vögel zu ausgedehnten Nahrungsflügen, bei denen sie dann häufig mit Baukranen, Antennen, Stahlseilen und spiegelnden Glasfassaden kollidieren, sich schwer verletzen und fachkräftige Hilfe benötigen. Zur Bewältigung dieser wichtigen Arbeit sind wir auf solidarische Spendenhilfe angewiesen.

Volontär Ruedi pflanzt auf Borneo den Regenwald von morgen.
Foto: BOS Schweiz
Foto: BOSF Indrayana / BOS Schweiz

Mitgefühl für alle Lebewesen: Wie wir die Welt durch Empathie und Respekt verändern können

Weh dem Menschen, wenn nur ein einziges Tier im Weltgericht sitzt. (Christian Morgenstern)

Tiere können auf die gleiche Weise und im gleichen Ausmass wie Menschen leiden. Sie empfinden Einsamkeit, Freude, Frustration, Mutterliebe und Schmerz. Manche von ihnen leben i n Familienverbänden und schliessen lebenslange Freundschaften, wenn sie ihrer Art entsprechend in Freiheit leben können. Sie sind Personen, keine Waren.

Doch die grausamen Bedingungen, unter denen vor allem sogenannte Nutztiere leiden, bleiben oft verborgen. Die meisten Menschen sind sich einig, dass der Umgang mit Tieren «human» sein sollte. Jedoch gibt es keine «humane» Möglichkeit, Lebewesen zu nutzen. In der Nahrungsmittelindustrie beispielsweise bedeutet auch «bio» enormes Tierleid. Tiere in der Biohaltung führen kein besseres Leben, selbst wenn sie etwas mehr Platz haben – denn auch dort steht der Profit über dem Tierwohl. Sie werden zur Ware degradiert und masslos überzüch-

Der gesellschaftliche Wandel ist spürbar, Millionen von Menschen weltweit hinterfragen ihren Konsum und entscheiden sich für einen veganen Lebensstil.

tet, was zu erheblichen gesundheitlichen Problemen führt. Kühe, Schweine, Hühner und viele andere Lebewesen werden gewaltsam getötet, lange bevor sie ihre natürliche Lebenserwartung erreicht haben.

In der Tierversuchsindustrie fristen fühlende Individuen ein angsterfülltes Leben in Versuchslaboren und leiden in Experimenten, die oft extrem schmerzhaft und sogar tödlich sind. Ein wenig Spielzeug in einem kahlen Käfig ist kein Ersatz für das Zusammenleben mit Familie und Freunden, das zum Beispiel Affen in ihrem natürlichen Lebensraum hätten. Zudem liefern Studien an Tieren kaum wissenschaftlich verlässliche Ergebnisse für den Menschen.

Gemeinsam helfen

Die Antwort auf all dieses unaussprechliche Leid sind Tierrechte. Der Tierrechtsgedanke bedeutet, dass Tiere, ebenso wie Menschen, empfindungsfähige Lebewesen sind und Interessen haben, die denen anderer nicht untergeordnet werden dürfen. Menschen, welche die Tierrechtsbewegung unterstützen, vertreten die Ansicht, dass wir kein Recht haben, Tiere für Nahrung, Kleidung, Unterhaltung oder Experimente auszunutzen.

Tierrechtsorganisationen wie PETA haben das Ziel, jedem Tier zu einem besseren Leben zu verhelfen. Um dies zu erreichen, setzt sich PETA für die Aufdeckung von Tierquälerei, die Aufklärung der Öffentlichkeit und die Vermittlung einer achtsamen und respektvollen Lebensweise ein. In der Tradi-

Sie möchten für die Tiere aktiv werden und PETAs Arbeit unterstützen? Mit Ihrer Spende helfen Sie uns dabei, Tierquälerei aufzudecken, die hinter verschlossenen Türen stattfindet. www.peta.ch

tion sozialer Befreiungsbewegungen macht sich das Team für das Ende des Speziesismus stark, ein diskriminierendes Denk- und Verhaltensmuster, das die Ausbeutung oder den Ausschluss von Lebewesen aufgrund ihrer Artzugehörigkeit rechtfertigt.

Die Arbeit von PETA hat viele Facetten. Sie reicht von mutigen Menschen, die illegalen Welpenhandel aufdecken, über Wissenschaftler, die sich für Alternativen zu Tierversuchen einsetzen, bis hin zu unermüdlicher Aufklärungsarbeit über die unerträglichen Zustände in der industriellen Tierhaltung. Der gesellschaftliche Wandel ist spürbar, Millionen von Menschen weltweit hinterfragen ihren Konsum und entscheiden sich für einen veganen Lebensstil.

Auch Politik und Wirtschaft sind gefragt, Tiere als das, was sie sind – fühlende Lebewesen, Personen – zu behandeln, dies gesetzlich zu verankern und Verstösse scharf zu bestrafen. In einigen Ländern und Regionen wurde bereits zumindest in Einzelfallentscheidungen und Deklarationen bejaht, dass Tiere Rechtssubjekte sind, ähnlich wie natürliche Personen oder juristische Personen. Statt blosser Schutzmassnahmen, die nur ein Minimum abdecken und durch menschliche Interessen motiviert sind, könnten sie in der Folge echte Rechte zugeschrieben bekommen. In der Schweizer Verfassung wird die «Tierwürde» bereits berücksichtigt – was jedoch nicht dazu führt, dass Tiere echte Rechte erhalten. Viele Formen der Tierausbeutung wie etwa die Vergasung von Küken,

Der Tierrechtsgedanke bedeutet, dass Tiere, ebenso wie Menschen, empfindungsfähige Lebewesen sind und Interessen haben, die denen anderer nicht untergeordnet werden dürfen.

die schmerzhafte Trennung von Kalb und Kuh direkt oder kurz nach der Geburt und weitere grausame Praktiken sind trotzdem noch immer legal.

Es ist nie zu spät, sich für Tierrechte einzusetzen. Vielleicht beginnt es mit kleinen Schritten: der Entscheidung, das nächste Lederprodukt nicht zu kaufen, einem Besuch in einem Tierheim oder der Unterstützung von Organisationen, die sich für das Wohl der Tiere einsetzen. Jeder Beitrag zählt – und nur gemeinsam können wir eine Welt schaffen, in der Mitgefühl und Respekt die obersten Prinzipien sind.

Harald Ullmann, 2. Vorsitzender von PETA Schweiz
Fotos: PETA D

Ihr Vermächtnis an die Natur

Blauflügelige Ödlandschrecke (Oedipoda caerulescens), Tier des Jahres Pro Natura 2023 © F. Perseke

und an die Zukunft

Sie möchten etwas hinterlassen, das bleibt und weiter wirkt? Die Natur liegt Ihnen am Herzen? Vorsorgen aus Fürsorge: Ihren Nächsten und der Natur zuliebe. Ihr Vermächtnis zählt — orientieren Sie sich mit unserem Ratgeber!

Wir bleiben am Ball für Kinder mit besonderen Bedürfnissen.

Wir pflegen mit Qualität, Kompetenz und Herz. Kinder, die besondere Pflege brauchen, stellen Eltern, Geschwister und Umfeld vor hohe physische und psychische Herausforderungen. Die Kinderspitex bietet unkomplizierte und unbürokratische Soforthilfe in der Pflege von schwerkranken, beeinträchtigten oder sterbenden Säuglingen, Kindern, Jugendlichen und jungen Erwachsenen mit Rücksicht auf alle Bedürfnisse im Umfeld der Familie an. Wir unterstützen Zuhause, im Heim und in der Schule.

Wir pflegen mit Qualität, Kompetenz und Herz.

Wünschen Sie eine Übersicht über Ihre Möglichkeiten? Haben Sie ein wichtiges Anliegen oder bestimmte Fragen? Gerne berate ich Sie persönlich!

Herzlich, Ihre Nathalie Schaufelberger

Telefon direkt: 061 317 92 26 nathalie.schaufelberger@pronatura.ch

Jetzt vorsorgen, Ihren Nächsten und der Natur zuliebe. Weitere Infos und Checklisten auf: pronatura.ch/legate-erbschaften

❑ Ja, senden Sie mir den Pro Natura-Ratgeber (kostenlos)

Name

Vorname

Strasse/Nr.

PLZ/Ort

Telefon

E-Mail

Geburtsdatum

Bitte senden Sie diesen Coupon an Pro Natura, Postfach, 4018 Basel oder bestellen Sie den Ratgeber per E-Mail an nathalie.schaufelberger@pronatura.ch

Wir bleiben am Ball für Kinder mit besonderen Bedürfnissen.

Wir pflegen mit Qualität, Kompetenz und Herz.

Für jedes Kind steht ein mit den Eltern sorgfältig zusammengestelltes Team zur Verfügung, um optimal auf die individuelle Situation und persönlichen Bedürfnisse eingehen zu können. Neben der medizinisch, therapeutischen Pflege bieten wir auch psychopädiatrische Pflege, Entlastungswochenenden, Spital und Trauerbegleitungen an. Die Pflegefachpersonen sind speziell auf Kinderpflege und in Palliative Care geschult.

Spenden: Bank Linth LLB AG 8730 Uznach - CH85 0873 1555 0307 4200 2

Stiftung Joël

Wir pflegen mit Qualität, Kompetenz und Herz.

Die Kosten werden durch die Stiftung und Spenden gedeckt. Ihre Spende ist für die Kinder überlebenswichtig, da leider viele zwingend benötigten Leistungen weder von Krankenkassen, Invalidenversicherung noch von Gemeinden oder Kantonen finanziert werden.

Spenden: Bank Linth LLB AG 8730 Uznach - CH85 0873 1555 0307 4200 2

Spenden: Bank Linth LLB AG 8730 Uznach - CH85 0873 1555 0307 4200 2

Stiftung Joël

hilft schnell und unkompliziert

Wir pflegen mit Qualität, Kompetenz und Herz.

Spenden: Bank Linth LLB AG 8730 Uznach - CH85 0873 1555 0307 4200 2

Stiftung Joël Kinderspitex Schweiz Gönhardweg 6, 5000 Aarau info@joel­kinderspitex.ch / www.joel­kinderspitex.ch

Stiftung Joël

Scannen Sie den QR­Code für mehr Informationen und um zu spenden. Helfen Sie mit, Kindern und ihren Familien Perspektiven zu bieten. Herzlichen Dank.

Frauengesundheit im Fokus: Ein ganzheitlicher Blick auf aktuelle Themen

EINLEITUNG

In einer schnelllebigen Welt, die sich ständig verändert, ist es unerlässlich, dass wir das Thema Gesundheit aus einer ganzheitlichen Perspektive betrachten. Diese Kampagne widmet sich der umfassenden Förderung der Frauengesundheit, indem sie verschiedene Aspekte beleuchtet.

Foto: Presse

Einer dieser Aspekte ist die Kinderlosigkeit, die sowohl gewollt als auch ungewollt sein kann. Die bewusste Entscheidung gegen Kinder wird oft im Kontext erweiterter Wahlfreiheit und veränderter gesellschaftlicher Normen gesehen. Rund ein Drittel aller Menschen in der Schweiz haben keine Kinder. Im Gegensatz zur bewussten Entscheidung sind fast 18 Prozent aller Frauen und Männer mit Unfruchtbarkeit konfrontiert. Auch wenn Infertilität offiziell als Krankheit anerkannt ist, wird sie erst jetzt langsam zu einem gesellschaftlichen Thema. Kinderlosigkeit ist oft mit Stigmata behaftet. Jede Frau sollte sich unabhängig von ihrer Familiensituation wertgeschätzt und unterstützt fühlen, ohne gesellschaftliche Ausgrenzung zu erleben.

Doch auch die Themen Vereinbarkeit und unbezahlte Care-Arbeit beschäftigen die Frauen in der Schweiz. Die Herausforderung, Familie und Beruf in Einklang zu bringen, ist für viele Frauen eine grosse Belastung. Flexible Arbeitsmodelle, ausreichende Kinderbetreuungsmöglichkeiten und eine gerechte Verteilung der familiären Aufgaben sind essenzielle Faktoren, um die Vereinbarkeit von Beruf und Privatleben zu verbessern.

Ein weiteres zentrales Anliegen sind die Gender- und Geschlechtsaspekte in der Gesundheitsversorgung. Oft wird der männliche Körper als Standard für Be -

handlungsguidelines gesetzt, wodurch die gesundheitlichen Bedürfnisse von Frauen unzureichend berücksichtigt werden. Frauen mit Brustschmerzen werden beispielsweise seltener an die Kardiologie überwiesen als Männer. Solche Ungleichheiten müssen angegangen werden, um eine gerechte Gesundheitsversorgung zu gewährleisten.

Beim Stichwort Frauengesundheit steht auch die Menopause zunehmend im Fokus. Diese Lebensphase ist für viele Frauen mit physischen und emotionalen Herausforderungen verbunden. Es ist wichtig, dass das Thema mehr Aufmerksamkeit bekommt, damit geeignete Massnahmen zur Unterstützung ergriffen werden können, um die Lebensqualität und Arbeitsleistung zu erhalten.

Auch Themen wie individualisierte Ernährung und ein solides Verständnis von Finanzangelegenheiten gewinnen zunehmend an Bedeutung im Hinblick auf die holistische Frauengesundheit. Vertieftes Wissen in diesen Bereichen kann dazu beitragen, das mentale und physische Wohlbefinden zu steigern.

Frauenspezifische Gesundheitsthemen wurden lange zu wenig beachtet. Es ist grossartig, dass diese Kampagne sie aufgreift. Ich wünsche Ihnen viel Freude beim Lesen der einzelnen Beiträge und hoffe, dass Sie wertvolle Einblicke erhalten.

Madeleine Bernet, Studienleiterin an der Berner Fachhochschule in der Weiterbildung Pflege und Co-Präsidentin der Akademischen Fachgesellschaft für Frauengesundheit des Schweizerischen Vereins für Pflegewissenschaft

Oft wird der männliche Körper als Standard für Behandlungsguidelines gesetzt, wodurch die gesundheitlichen Bedürfnisse von Frauen unzureichend berücksichtigt werden. Frauen mit Brustschmerzen werden beispielsweise seltener an die Kardiologie überwiesen als Männer. Solche Ungleichheiten müssen angegangen werden, um eine gerechte Gesundheitsversorgung zu gewährleisten.

Krämpfe in der Nacht?

Soufrol® Muscle Magnesium Crème

Löst lokale Muskelkrämpfe. Angenehme Kühlung durch Menthol sorgt für Entspannung und ruhigen Schlaf.

Rabattbon CHF 5.–

Wirkt lokal und schnell bei:

✓ Muskelkrämpfen

✓ Verspannungen

✓ Muskelkater

Enthält Magnesium und Schwefel (MSM)

Beim Kauf einer Soufrol® Muscle Magnesium Crème 120 g erhalten Sie CHF 5.– Ermässigung in Ihrer Apotheke oder Drogerie

Gültig bis 31.07.2024, nicht kumulierbar. Information für den Fachhandel: Rückerstattung durch den Aussendienst, bewahren Sie den Bon mit Quittung bis zum nächsten Besuch auf (inkl. MwSt.).

Diagnose Endometriose

EINBLICK

Die zweithäufigste gynäkologische Erkrankung nach Myomen ist die Endometriose. Betroffen sind zwischen 8 und 15 Prozent aller Mädchen und Frauen.

Text: Chan Sidki-Lundius

Foto: Polina Zimmermann/pexels

Dennoch ist die Erkrankung immer noch vergleichsweise unbekannt. Bei der Endometriose handelt es sich um eine chronische Erkrankung, bei der Gewebe, das der Gebärmutterschleimhaut ähnelt, ausserhalb der Gebärmutterhöhle wächst: im Bauch- und Beckenraum, am Eierstock oder Eileiter, seltener an Blase oder im Darm. Manche Frauen haben keine Beschwerden, dann besteht auch kein Behandlungsbedarf. Etwa die Hälfte der Betroffene leiden unter chronischen Schmerzen. Das

Spektrum reicht von starken Menstruationsschmerzen über anhaltende Schmerzen im Beckenbereich bis zu Schmerzen beim Sex und Toilettengang. In diesen Fällen besteht ein dauerhafter Therapiebedarf durch ein vorzugsweise interdisziplinäres Ärzteteam. Eine weit verbreitete Folge der Endometriose ist die eingeschränkte Fruchtbarkeit. Studien zeigen: Bei 40 bis 50 Prozent der Frauen, die ungewollt kinderlos bleiben, ist

Bei der Endometriose handelt es sich um eine chronische Erkrankung, bei der Gewebe, das der Gebärmutterschleimhaut ähnelt, ausserhalb der Gebärmutterhöhle wächst.

dies auf eine Endometriose zurückzuführen. Die Ursachen sind bislang ungeklärt. Insofern ist die Diagnose der Endometriose herausfordernd, zumal die Symptome oft unspezifisch sind und anderen Erkrankungen ähneln. Meistens ist eine Laparoskopie (minimalinvasiver Eingriff, bei dem eine Kamera eingeführt wird) angesagt. Die Behandlung richtet sich nach dem Schweregrad der Symptome, dem Alter der Patientin und ihrem Kinderwunsch. Zu den gängigen Behandlungen gehören chirurgische Eingriffe, die Gabe von Medikamenten und alternative/ergänzende Therapien (Akupunktur, Ernährungsumstellung, Physiotherapie). In vielen Städten und Kantonen gibt es Selbsthilfegruppen und Endometriose-Zentren, in denen Frauen Unterstützung erhalten. Adressen gibt es unter www.endo-help.ch

Bei 40 bis 50 Prozent der Frauen, die ungewollt kinderlos bleiben, ist dies auf eine Endometriose zurückzuführen.

Adenomyose

Lange wurde Adenomyose als eine Unterform der Endometriose betrachtet. Diverse Studien weisen darauf hin, dass es sich um eine eigenständige Erkrankung handelt, die sowohl einzeln als auch mit Endometriose auftreten kann. Die Abgrenzung von der Endometriose und zum Teil auch von Myomen ist allerdings nicht ganz einfach.

3 Fragen an den Experten

«Endometriose bedeutet mehr als Schmerzen»

Herr Dr. Imesch, Sie haben sich auf die Behandlung der Endometriose spezialisiert. Was ist dabei Ihrer Erfahrung nach das Wichtigste?

Endometriose ist weit mehr als eine lokale Läsion im Becken. Den Fokus ausschliesslich auf die Schmerzen zu legen, unterschätzt das wahre Ausmass der Erkrankung. Endometriose wird zunehmend von ExpertInnen als eine systemische, chronisch-entzündliche Erkrankung erkannt. Sehr häufig findet man auch neuro-psychologische Symptome, so sind beispielsweise Migräne, Angststörungen und Depressionen häufig bei Endometriose-Patientinnen. Auch beschreibt fast die Hälfte der Betroffenen eine tiefe Müdigkeit (Fatigue). All diese Beobachtungen unterstützen die Idee einer systemischen Erkrankung – die

Therapie kann deshalb meist nicht rein lokal sein. Am vielversprechendsten scheint eine multimodale, langfristig angesetzte Therapie. Dies führte in den letzten Jahren auch zu einem Paradigmenwechsel in der Therapie. Hat man früher immer direkt operiert, wird heute die frühzeitige Einleitung einer medikamentösen Therapie als zentral angesehen.

Wie beeinflusst das Ihre Praxistätigkeit?

Ich sehe mich als eine Art «case manager», als den Fallführer, der die Fäden in der Hand hat und bei Bedarf auf sein Netzwerk aus Spezialisten verschiedener Fachrichtungen zurückgreifen kann. Eine zentrale, langfristige Ansprechperson erachte ich als enorm wichtig in der Behandlung von Endometriose-Patientinnen.

Nehmen Sie denn überhaupt noch neue Patientinnen auf?

Selbstverständlich nehmen wir neue Patientinnen auf. Man kann zugewiesen werden, sich aber auch selbstständig bei uns melden. Wir behandeln Patientinnen aller Versicherungsklassen.

PD Dr. med. Patrick Imesch

Privatklinik Bethanien

Toblerstrasse 51 8044 Zürich

T. +41 43 268 28 33 gyn.bethanien@hin.ch www.klinikbethanien.ch

Vom Auftreten erster Beschwerden bis zur korrekten Diagnose vergehen durchschnittlich etwa 7-10 Jahre.

Für die Frauenpower

Im Leben einer Frau spielt der Zyklus eine zentrale Rolle – das Finden der perfekten Balance und des Wohlbefindens steht dabei im Mittelpunkt. Ob es um Periodenschmerzen oder Wechseljahresbeschwerden geht, wir sind hier, um Ihnen zu helfen. Entdecken Sie, wie Sie sich in jeder Phase Ihres Zyklus und jeder Lebenslage rundum wohlfühlen können. Geniessen Sie das Leben in vollen Zügen mit unseren speziell ausgewählten Produkten.

farfalla Frauenleben

Intim-Pflegeöl unterstützt die natürliche Intimflora und erhöht die Geschmeidigkeit der Haut.

Preis: 18.90 CHF www.farfalla.ch

100 % natürliches Nahrungsergänzungsmittel von HAIR VITAL mit veganem Vitamin B für gesunde Haare von håvsund.

UVP: 33.00 CHF www.havsund.ch

Soufrol® Arthro Crème bietet eine kühlende Schmerzlinderung und fördert die Gelenkbeweglichkeit. Die Creme ist besonders wirksam bei Entzündungen und Schwellungen in den Gelenken. Entwickelt von Gebro Pharma AG, ist sie die ideale Lösung für Menschen, die ihre Mobilität ohne Schmerzen geniessen möchten.

Preis: 22.50 CHF www.gebro-shop.ch

Gänsefingerkraut gilt als die wirksamste Pflanze bei Krämpfen vor oder während menstrualen Blutungen. Neben entkrampfenden Eigenschaften zeigt die Pflanze auch kräftigende Funktionen auf die Gebärmutter. Zusammen mit Hopfen, Melisse und Magnesium wirkt die Neuheit Period Relax von Dr. Dünner wunderbar entspannend und entkrampfend auf das Gemüt und die Nerven.

UPV: 27.90 CHF www.drduenner.com

Wir bringen Ihre Marke zur relevanten Zielgruppe. Sie möchten mit den richtigen Inhalten Ihre Markenbekanntheit erhöhen und mehr potenzielle Kunden erreichen? Kontaktieren Sie uns!

Deumavan Intim Schutzsalbe für den sanften Schutz von sensiblen Stellen. Täglich schonende Intimpflege für Sie und Ihn.

Preis: 30.50 CHF www.deumavan.ch

Das innovative Tripeptid-Kollagen-Pulver für Anti-Aging-Prävention, Haut, Haare und Nägel Collamin Natur’Beauty Collagen ist allergenfrei und geschmacksneutral.

Entwickelt von Schweizer Experten.

Preis: 62.- CHF (30 Portionen) www.collamin.com

Weniger Schnickschnack, mehr Gesundheit

Eine sanfte und durchdachte Pflege des Intimbereichs ist essenziell für die Gesundheit und das Wohlbefinden. Dabei gilt: Weniger ist oft mehr. Text: Nadine Wagner Foto: Billie/unsplash

Die Haut im Intimbereich ist besonders empfindlich und ist im Alltag vielen Belastungen ausgesetzt: Sei es Reibung durch enge Kleidung, langes Sitzen im Bürostuhl oder ein Feuchtigkeitsstau durch synthetische Slips oder Einlagen. Während unser Körper normalerweise selbst in der Lage ist, die Intimhaut zu schützen und gesund zu halten, gibt es Zeiten, in denen die Haut trocken wird, juckt oder brennt. In solchen Fällen ist besondere Pflege notwendig. Allerdings sollte nicht wahllos die nächstbeste Pflegecreme verwendet werden. Es braucht eine spezielle Creme, die dem pH-Wert des Intimbereichs entspricht. Empfehlenswert sind Schutzsalben mit Inhaltsstoffen wie Hamamelis, Jojobaöl, Vitamin E oder Hyaluronsäure

Nicht von der Intimpflege ausgeschlossen werden sollte der Analbereich, denn auch hier bedarf es einer behutsamen Pflege.

sowie antibakteriellen und regenerierenden Eigenschaften. Wichtig ist, dass Intimpflegecremes nur im äusseren Bereich – der Vulva – angewendet werden. Die Vagina hingegen benötigt auf keinen Fall extra Beauty-Rituale.

Vor allem mit Beginn der Wechseljahre wird die zarte Intimhaut dann nochmals dünner und verletzlicher. Gleichzeitig verlieren die zahlreichen Talg- und Schweissdrüsen an Aktivität, was zu Trockenheit und verminderter Widerstandsfähigkeit führt. Eine entsprechende Schutzsalbe, die täglich an der Vulva angewendet wird, kann in und nach den Wechseljahren helfen, die zarte und trockene Intimhaut zu schützen und zu regenerieren. So können Intimbeschwerden gezielt gelindert und beseitigt werden oder aber erst gar nicht aufkommen. Auch der Partner oder die Partnerin sollte hierzu beitragen, indem diese ihren Genitalbereich täglich gut reinigen und pflegen.

Gegen lästige Pickel und Juckreiz nach der Rasur helfen derweil spezielle Cremes mit

Wichtig ist, dass Intimpflegecremes nur im äusseren Bereich –der Vulva – angewendet werden.

dem Wirkstoff des Hafers – dieser beruhigt schnell die gereizte Haut. Fetthaltige Salben halten hingegen die Hornschicht weich und geschmeidig. Generell kommt es bei jeder Enthaarungsmethode trotz aller Vorsicht stets zu oberflächlichen Mikroverletzungen der Intimhaut, wodurch die Hautbarriere beschädigt und die Widerstandskraft gegen Entzündungserreger geschwächt wird. Irritationen, Rasurbrand, trockene Hautstellen, Juckreiz und eingewachsene Härchen sind die Folge. Um das Risko solcher Hautreizungen zu minimieren, gilt es, einige Tipps zu beachten: So sollte der Intimbereich vor der klassischen Rasur gereinigt werden, etwa beim Duschen oder Baden, denn eine erweichte und feuchte Haut erleichtert die Rasur. Die

Klingen des Rasierers sollten zudem immer scharf sein, da vor allem stumpfe Rasierklingen Irritationen verursachen. Nach der Rasur sollte der Intimbereich schliesslich mit klarem Wasser abgespült, sanft trocken getupft und mit einer schützenden und pflegenden Salbe eingecremt werden.

Nicht von der Intimpflege ausgeschlossen werden sollte der Analbereich, denn auch hier bedarf es einer behutsamen Pflege. Feuchttücher sollten möglichst vermieden werden, da sie oft Alkohol, Konservierungsund Duftstoffe enthalten, die die Haut reizen oder Allergien auslösen können. Stattdessen sind lauwarmes Wasser und eine fetthaltige Schutzsalbe in der Regel ausreichend, vor allem dann, wenn der After aufgrund von Fissuren, Hämorrhoiden oder anderen Beschwerden gereizt ist. Das tägliche Auftragen einer Schutzsalbe kann zudem einem Wundwerden vorbeugen, wie es bei Stuhlinkontinenz oder häufigem Durchfall durch Medikamente, chronisch entzündliche Darmerkrankungen oder Reizdarm auftreten kann.

Sanfter Schutz für sensible Stellen.

ZARTER SCHUTZFILM FÜR DEN ÄUSSEREN INTIMBEREICH

Deumavan lindert Beschwerden wie:

Trockenheit

Hautreizungen mit Brennen, Jucken und Rötung

Wundsein im Analbereich

für Ihn

für Sie

Entdecke alle Produkte! Beliebtestes

Produkt in der IntimFeuchtigkeitspflege *

Sommer, Sonne, Sonnenschutz

Im Sommer ist unsere Haut hoher UVStrahlung, Hitze, Schweiss und Meeroder Chlorwasser ausgesetzt, was zu schnellerem Austrocknen und Irritationen führen kann. Pflegecremes und Lotionen mit Hyaluronsäure helfen nachweislich, den Feuchtigkeitshaushalt zu verbessern. Nach dem Duschen empfiehlt sich ein After Sun Gel, oft mit Aloe Vera, das ebenfalls feuchtigkeitsspendend und hautberuhigend wirkt. Cremes mit Parabenen, Duftstoffen oder Silikonen sollten vermieden werden.

Sonnenschutz ist ein Muss – auch bei bewölktem Himmel, da UV-Strahlen die Haut schädigen können. Auch im Schatten sollte Sonnencreme getragen werden, da UV-Strahlen reflektiert werden. Zudem profitieren unsere Füsse im Sommer von regelmässigen Peelings und dem Auftragen von Pflegelotionen mit Urea.

Text: Nadine Wagner Foto: RF_studio/pexels

MANUKA

DIE HEILPFLANZE DER MAORI

Weit weniger bekannt als der berühmte ManukaHonig ist das ätherische Manuka-Öl. Für den Honig sammeln Bienen den Nektar aus den ManukaBlüten. Das ätherische Öl hingegen wird direkt aus den grünen Zweigen und Blätter der ManukaPflanze gewonnen.

Das wertvolle Manuka-Öl ist bis zu 30-mal stärker als Teebaum-Öl und trotzdem milder in der Anwendung. Naturrein oder in Naturkosmetik wird Manuka-Öl für seine antibakteriellen und pilzhemmenden Eigenschaften genutzt.

In Europa noch weitgehend unbekannt, hat es sich Manuka-Öl in Neuseeland und Australien als natürliche Lösung bei Hautbeschwerden etabliert.

Juckende und trockene Haut ist nicht tragisch und sorgt trotzdem täglich für Unwohlsein. Die Waikura Manuka Skin Care kann auf natürliche

Verjüngungskur aus der Tube

Ab 30 Jahren zeigen sich meist die ersten Zeichen der Hautalterung, wie feine Linien auf der Stirn und Fältchen um die Augen. Falten lassen sich ohne operative Eingriffe nicht vollständig beseitigen, doch spezielle Kosmetika und Pflegeprodukte können Alterungsprozesse verlangsamen oder vorbeugen. Einer der besterforschten Anti-Aging-Wirkstoffe ist Retinol, der selbst tiefere Falten mildern kann, indem er die Zellerneuerung anregt und frische Zellen schneller an die Hautoberfläche bringt.

Um freie Radikale zu bekämpfen, sind Antioxidantien wie Vitamin E, Vitamin C

und Niacinamid (Vitamin B3) wirksam. Diese fördern die Regeneration der Hautzellen und schützen vor oxidativem Stress. Zur Erhöhung der Hautspannkraft eignen sich zudem kollagenfördernde Signalstoffe wie Peptide, die den Kollagenaufbau anregen.

Besonders effektiv ist ein ausreichender UV-Schutz, da bis zu 80 Prozent aller Falten durch Sonneneinstrahlung verursacht werden. UV-Strahlen führen zu irreversiblen Zellschäden, die Falten und Pigmentflecken verstärken.

Text: Nadine Wagner Foto: Karolina Kaboompics/pexels ANZEIGE - ADVERTORIAL

Weise Abhilfe schaffen. Vertrauen Sie auf hochwertige natürliche Inhaltstoffe und die Kraft der Manuka-Pflanze. Fördern sie das tägliche Wohlbefinden Ihrer Haut.

Als weltweit einziger Hersteller von biologisch zertifiziertem Manuka-Öl liefert das Waikura Valley am East Cape von Neuseeland Manuka-Öl erster Qualitätsklasse.

Unsere Manuka-Produkte werden zusätzlich mit bewährten pflanzlichen Inhaltsstoffen wie Shea Butter, Ringelblumenöl, Sonnenblumenöl und Arganöl angereichert, um die bestmögliche Pflege zu gewährleisten.

Wir sind ein Schweizer Unternehmen und stellen unsere Manuka-Produkte direkt im Waikura Valley am East Cape der Nordinsel Neuseelands her.

Kollagen – ein kraftvolles Anti-Aging-Protein

Falten, Trockenheit oder eine fehlende Ausstrahlung? Kollagen kann als Antwort auf viele Anzeichen der Hautalterung gesehen werden.

Kollagenpräparate sind überall und gehören für Schönheitsexperten mittlerweile ebenso zur täglichen Schönheitspflege wie Seren und Feuchtigkeitscremen.

Aber was genau ist Kollagen? Von Tausenden von Proteinen im menschlichen Körper ist Kollagen das am häufigsten vorkommende. Dieses leistungsstarke Molekül hat viele wertvolle Funktionen: Es ist der Hauptbestandteil von Bindegewebe, Haut, Haaren, Nägeln, Knochen und Gelenken. Es dient als strukturelles Gerüst, das die Zellen zusammenhält, und spielt eine entscheidende Rolle dabei, uns jung und fi t zu halten.

Kollagen ist vor allem in der Haut allgegenwärtig, wo es sowohl für Festigkeit als auch für Elastizität sorgt –Eigenschaften, die ihm den Ruf als eine Art Elixier gegeben haben. Während Kollagen im Körper bis zum Alter von zwanzig Jahren am reichlichsten vorhanden ist, nimmt es ab Mitte zwanzig tendenziell ab. Mit jedem Lebensjahr produziert der Körper weniger Kollagen, was den Alterungsprozess und das Auftreten von Falten vorantreibt.

Wissenschaftlich untermauerte Vorteile Um die Auswirkungen der Hautalterung zu reduzieren, empfehlen Experten die Einnahme von hydrolysiertem Kollagenpulver. Zahlreiche klinische Studien zeigen, dass es die Hautalte-

rung verzögert, indem es die Kollagenstrukturen verbessert und die körpereigene Kollagenproduktion anregt. Für ein optimales Ergebnis ist es wichtig, hochwertiges Kollagen mit niedrigem Molekulargewicht zu verwenden.

Andererseits hat eine aktuelle Studie ergeben, dass die Einnahme von Kollagenpulver die Haut vor UV-Schäden schützen kann und wie ein Sonnenschutzmittel von innen wirkt.

Dr. Diana Cerutti, eine Genfer Spezialistin für präventive Ästhetik, weist auf die Notwendigkeit hin, die Haut von innen heraus zu unterstützen. Laut Dr. Cerutti sollten Kollagenpräparate, wie die der Schweizer Marke Collamin, in jedes Schönheitsprogramm aufgenommen werden, da sie die tiefsten Schichten der Haut am effektivsten ansprechen.

«Es ist notwendig, die Haut von innen heraus mit einem hochwertigen Kollagenpräparat, wie dem Collamin, zu schützen.»

Bei Prominenten beliebt

Die verjüngende Wirkung von Kollagen ist bei Prominenten längst erwiesen. Die amerikanische Schauspielerin Jennifer Aniston ist der lebende Beweis für die positiven Effekte des Wirkstoffes. Aniston hat bei mehreren Gelegenheiten ver-

raten, dass die Einnahme von Kollagen ihr Geheimnis ist, um ihre Haut jung und straff zu halten. Alles, was es braucht, sind Geduld und Konsequenz, um spürbare Ergebnisse zu erzielen, die sich in der Regel nach vier bis sechs Wochen täglicher Anwendung erweisen.

Wie wähle ich das passende Kollagen aus?

Angesichts der grossen Auswahl auf dem Markt kann die Wahl des richtigen Präparats überwältigend sein. Eine kleine Recherche führt zum Kollagen von Collamin. Die Marke aus Luzern bietet eine Reihe von Nahrungsergänzungsmitteln an, die in der Schweiz entwickelt und hergestellt werden. Collamin-Produkte bieten maximale Wirksamkeit für die Haut dank ihrer einzigartigen Kombination aus hoch bioverfügbarem Kollagen mit spezifischen hautschonenden Nährstoffen. Darüber hinaus verwendet Collamin nur Kollagen aus nachhaltiger Rinderhaltung sowie MSC-zertifiziertes Meereskollagen.

Collamin ist in Schweizer Apotheken und Drogerien sowie unter www.collamin.com erhältlich.

Stark gegen Sonnenschäden

Die tägliche Einnahme von Kollagen kann die Kollagenfasern vor UV-induzierten Schäden und somit vor vorzeitiger Hautalterung schützen!

Wir erklären, warum das so ist:

• Die hochwertigen Aminosäuren im hydrolysierten Kollagenpulver von Collamin fördern die körpereigene Kollagenproduktion und verbessern so die Hautstruktur

• Kollagenpeptide straffen die Haut; sie wird widerstandsfähiger gegen äussere Einflüsse

• On Top: Hautunreinheiten werden minimiert, der Teint wird ebenmässiger und strahlender

Wann ist es ratsam, Kollagen einzunehmen?

Ich empfehle es ab einem Alter von 25 Jahren, um erste Anzeichen der (Haut)Alterung aufgrund von oxidativem Stress, Sonneneinstrahlung und Umwelteinflüssen, zu bekämpfen. Besonders rate ich es denjenigen an, die mit Falten, trockener Haut, Cellulite oder Dehnungsstreifen zu kämpfen haben. Kollagen führt in diesem Falle dazu, dass es das erschlaffte Bindegewebe stärkt.

Warum entscheidest Du Dich für Collamin und nicht für eine andere Marke?

Ich habe mich für Collamin entschieden, weil es hochwertige Wirkstoffe enthält. Es ist auch einfach anwendbar, da es in Pulverform daherkommt und leicht in ein Getränk gemischt werden kann. Ausserdem kenne ich das Schweizer Unternehmen und die Produktionsquelle persönlich, sodass ich ihnen zu 100 % vertrauen kann.

Welche Nährstoffe – nebst dem Kollagen – hältst du für wichtig, um eine gesunde Haut zu halten?

Vitamin C, Hyaluronsäure, Omega3-Fettsäuren, Zink und Biotin sind ein Muss in jeder Hautpflegeroutine. Collamin Derm‘Nutrition enthält bspw. all diese leistungsstarken Inhaltsstoffe zusammen mit hydrolysiertem Kollagen und Tripeptid-Kollagen und ist damit das fortschrittlichste Hautpflegepräparat auf dem Markt.

Was kann ich nach einigen Wochen der täglichen Einnahme erwarten? Eine verbesserte Feuchtigkeitsbarriere, sichtbar hellere Haut und einen jugendlicheren Teint. Die tägliche Einnahme ist entscheidend für optimale Ergebnisse.

GROSSES

Ex-Freestyle-Skierin Mirjam «Mimi» Jäger über Schlafmangel, kleine Auszeiten, die Bürde des Perfektionismus und welche Rolle viel Pasta und Schokolade dabei spielt.

Text: Kirsten Schwieger

Foto: Presse

Fahren Sie noch Ski?

Klar, aber ich bin eine «Schön- und Warmwetterfahrerin» geworden. Aber da mein grosser Sohn Skifahren liebt, gehe ich ihm zuliebe mittlerweile auch wieder bei düsteren Verhältnissen auf die Piste.

Wie halten Sie sich fit als alleinerziehende Working Mom?

Das ist tatsächlich eine Challenge, die ich mir einfacher vorgestellt hatte. Allein für zwei Kinder, deren Hobbies, das Haushaltseinkommen, den Haushalt etc. verantwortlich zu sein, verlangt einem viel ab. Zeit für mich habe ich nur wenig; nach der Arbeit geht gleich die Care-Arbeit weiter. Ich achte aber auf Kleinigkeiten, wie anstatt des Liftes die Treppen zu nehmen. Da wir noch einen Hund haben, sind wir auch viel auf Spaziergängen.

Ist noch Zeit für Sport?

Ich versuche jeweils 2- bis 4-mal in der Woche 30-40 Minuten Sport zu Hause zu machen. Zum Glück gibt es mittlerweile super Workout-Apps welche ich dann via TV streame.

Wie ernähren Sie sich?

Ich ernähre mich eigentlich normal; von allem etwas, ohne zu übertreiben. Salat am Mittag ist mein täglicher Begleiter. Ich esse generell viel Pasta und jeden Tag Schokolade. Gemüse könnte ich, rein gesundheitstechnisch, noch mehr essen und wahrscheinlich weniger Desserts ;-)

Wie gehen Sie mit Schlafmangel um?

Ich bin zum Glück eine Person, die noch nie viel Schlaf benötigte, um funktionstüchtig zu sein. In den letzten Jahren bin ich aber tatsächlich öfters an meine Grenzen gestossen, da ich am Abend, wenn die Kinder schlafen, meistens noch arbeite. Mein Körper zeigt mir seine Grenzen auf.

Wie können Sie sich am besten erholen? Erholung gönne ich mir auf Spaziergängen mit meinem Hund und bei meinem Abendritual. Bewegung an der frischen Luft ist für mich essenziell. Jeden Abend beim Zähneputzen im Badezimmer höre ich Podcasts oder Hörbücher. Da kann ich wunderbar abschalten und in eine andere Welt eintauchen. Dieses Abendritual ist meine Me-Time, das geniesse ich in vollen Zügen.

Welche Auszeiten nehmen Sie sich?

Auszeiten gibt es nicht viele. Bei der Arbeit muss ich «nur» auf mich schauen, das geniesse ich jeweils. Auch bin ich meinen guten Freunden und Eltern aus tiefstem Herzen dankbar: Sie entlasten mich manchmal für ein paar Stunden, damit ich z. B. vorarbeiten oder nachschlafen kann.

Was ist heute Luxus für Sie?

Luxus ist, meinen Kindern Urlaub und ihren Sport zu ermöglichen. Dies ist mir sehr wichtig. Auf mich ausgerichtet ist Luxus, die wenigen Me-Time-Momente voll zu geniessen. Dort lade ich jeweils meine Batterien wieder auf.

Wann geraten Sie an Ihre Grenzen?

Ich gerate öfters an Grenzen, vor allem, weil ich mir mit meiner perfektionistischen Art manchmal selbst im Weg stehe. Alles unter einen Hut zu bringen, ist wohl die grösste Challenge in einem Solo-working-parentHaushalt. Irgendwie geht es dann immer, das habe ich mittlerweile gelernt aber meine perfektionistische Ader muss ich des Öfteren zur Seite legen.

Haben Sie noch mentale Tipps aus Ihrer Profisportkarriere auf Lager?

Ich glaube, ohne mein Athleten-Mindset wäre ich jetzt nicht hier, wo ich bin. Ich habe soeben noch ein postgraduales Studium abgeschlossen, welches mich wiederum viel Disziplin und Schlaf gekostet hat. Disziplin und Ehrgeiz sind geblieben, auch im heutigen Berufsleben. Ich will, wie dazumal im Sport, weiterkommen. Geändert hat sich einfach, dass ich einen zusätzlichen Grund habe, hart zu arbeiten, nämlich der, meinen Kindern ein erfülltes Leben zu bieten, auch als alleinerziehende Mutter.

Welche körperlichen Auswirkungen hatten Ihre Schwangerschaften?

Leider haben die zwei Schwangerschaf-

ten ihre Spuren hinterlassen. Nach der 2. Schwangerschaft war die Rektusdiastase – ein senkrechter, breiterer Spalt an der Bauchvorderseite, welche schon nach der ersten bestand – 6,5 Zentimeter gross. Zudem hatte ich vier Bauchwandbrüche erlitten. Alle non-invasiven Therapien haben schlussendlich nichts genützt und deswegen wurde ich im April dieses Jahres operiert. Ich freue mich nun auf die wiederhergestellte Stabilität im Rumpfbereich und darauf, wieder meine geliebten Bauchübungen zu machen.

Nehmen Sie Vorsorgeuntersuchungen wahr?

Ja, ich bin jemand, der die Gewissheit braucht, dass alles in Ordnung ist. Ich gehe einmal im Jahr zum Frauenarzt, sowie auch zum Hautarzt, um meine Muttermale kontrollieren zu lassen. Des weiteren leide ich unter Eisenarmut, deswegen lasse ich auch meine Blutwerte ein- oder zweimal im Jahr durch meinen Hausarzt checken

Fakten

Die gebürtige Zürcherin ist ein Sonnenmensch und liebt das Gefühl von Freiheit beim Skifahren. Sie schwärmt für französische Chansons, Biografie-Hörbücher und Maroni und isst seit 30 Jahren als erstes nach dem Aufstehen Schokolade. Das Meer und die Berge stehen in ihrer Gunst gleichauf, sofern in den Bergen die Sonne scheint.

ANZEIGE - ADVERTORIAL

Dicke, schmerzende Beine können auf ein Ödem hinweisen

Nicht immer liegt es an zu viel Schokolade, wenn die Beine dick werden. Bei Frauen kann auch ein Lymphödem oder ein Lipödem die Ursache sein.

Text: Katja Deutsch

Foto: Ron Lach/pexels

Warum bin ich nur so dick geworden? Viele Frauen stellen sich verzweifelt die Frage nach der Ursache ihrer Gewichtszunahme und quälen sich wochenlang mit Diäten. Nicht immer liegt es an zu vielen Kalorien, auch andere Ursachen kommen infrage: Ödeme können für Fettgewebsvermehrung an den Beinen, teilweise auch an den Armen sorgen. Lymphödem und Lipödem verursachen anschwellende, teilweise stark schmerzende Beine und manchmal auch Arme –unabhängig von der Kalorienzufuhr.

Im unserem Körper zirkulieren zwei Systeme: Blutkreislauf und Lymphsystem. Das Lymphsystem «entwässert» den Zwischengewebsraum, indem die Lymphgefässe und die

Eine antientzündliche Ernährung reduziert zwar nicht die Fettzellen, kann jedoch die Symptome verbessern.

Lymphknoten die entstandenen Abfallstoffe des Stoffwechsels zurück in den Blutkreislauf transportieren. Ein Lymphödem stört diesen Prozess, das bedeutet, im Gewebe sammelt sich Lymphflüssigkeit an, sodass es anschwillt. Das ist meistens an den Beinen der Fall. Bei plötzlich unerklärlich dicker werdenden Beinen sollte man deshalb nicht zögern, zum Arzt zu gehen, auch wenn sich der Gedanke vielleicht merkwürdig anhört.

Ohne ärztliche Behandlung entwickelt sich ein Lymphödem immer weiter, es verändert sich und kann später Komplikationen hervorrufen. Die Haut spannt schmerzhaft, das Gewebe verhärtet, Gehen und Laufen werden schwieriger. Im schlimmsten Stadium lässt sich das Ödem gar nicht mehr eindrücken, die Beine sind sehr dick mit teilweise starken Hautfalten geschwollen, die Haut ist trocken, schuppt sich, und neigt zu Entzündungen. Ursache ist eine angeborene Störung des Gefässsystems oder Operationen, Tumore und Verletzungen, die ebenfalls zu gestörtem Lymphfluss und einem Lymphödem führen können. Nach Brustkrebserkrankungen können beispiels -

weise Lymphödeme für einen geschwollenen Arm verantwortlich sein.

Beim Lipödem dagegen zeigt sich eine schmerzhafte Fettverteilungsstörung, hier bilden sich – symmetrische – Fettpolster am Gesäss und an den Beinen, bei gleichzeitig schmalem Oberkörper. Die Beine verlieren immer mehr an Form. Wichtigstes Unterscheidungsmerkmal sind die Schmerzen, die ein Lipödem verursacht. Die Ursachen dieser unkontrollierten Vermehrung der Fettzellen im Unterhautgewebe und die Einlagerungen von Wasser sind noch nicht vollständig erforscht, vermutlich verantworten sie hormonelle Veränderungen in Pubertät, Schwangerschaft oder den Wechseljahren von Frauen. Männer sind kaum vom Lipödem betroffen. Neben Hormonen kann auch die genetische Veranlagung sowie eine Fehlregulation des Fettgewebes vorliegen.

Um die Schmerzen zu lindern und die Lebensqualität der betroffenen Frauen zu erhöhen, helfen spezielle Kompressionsstrümpfe zur Verbesserung des Lymph-

flusses, manuelle Lymphdrainage und Bewegung wie Schwimmen, Radfahren oder Spazierengehen – auch wenn besonders Schwimmen für die Betroffenen meist starke Überwindung kostet. Eine antientzündliche Ernährung reduziert zwar nicht die Fettzellen, kann jedoch die Symptome verbessern. Entsprechende Physiotherapie kann Schmerzen lindern und die Mobilität erhöhen. Nicht zuletzt sind Selbsthilfegruppen und psychologische Unterstützung hilfreich, um wieder ein positives Körpergefühl zu bekommen und sich nicht mehr für seine geschwollenen Beine zu schämen. Bei schweren Fällen kann auch über eine Fettabsaugung nachgedacht werden.

Ohne ärztliche Behandlung entwickelt sich ein Lymphödem immer weiter, es verändert sich und kann später Komplikationen hervorrufen.

Der Strumpf für Power-Frauen

Der Strumpf für Power-Frauen

Her mit dem Selbstvertrauen! Die Kompressionsstrümpfe

Her mit dem Selbstvertrauen! Die Kompressionsstrümpfe

VenoTrain curaflow von Bauerfeind lindern nicht nur Beschwerden, sondern können sich auch sehen lassen.

VenoTrain curaflow von Bauerfeind lindern nicht nur Beschwerden, sondern können sich auch sehen lassen.

Mit Drive durchs Leben! Die Kompressionsstrümpfe VenoTrain curaflow sind modisch und angenehm zu tragen.

Ursachen: Beim Lymphödem ist entweder das Gefässsystem von Geburt an beschädigt oder das Lymphsystem wurde durch einen Eingriff beschädigt. Beim Lipödem hingegen handelt es sich um eine Fettverteilungsstörung.

Ursachen: Beim Lymphödem ist entweder das Gefässsystem von Geburt an beschädigt oder das Lymphsystem wurde durch einen Eingriff beschädigt. Beim Lipödem hingegen handelt es sich um eine Fettverteilungsstörung.

Was beide Krankheiten gemein haben: Sie verursachen häufig starke Beschwerden in den Beinen. Wer an einem Lymphoder Lipödem leidet, muss flachgestrickte Kompressionsstrümpfe tragen. Sie helfen, die Spannungsschmerzen zu lindern und bringen die Lymphe in Fluss. Die VenoTrain curaflow sind dank dem hohen Mikrofaseranteil besonders weich und verhindern starkes Schwitzen, weil sie die Haut atmen lassen. Zudem gibt es eine grosse Farbauswahl, die auch modisch keine Wünsche offen lässt. Perfekt also für Power-Frauen, die sich nicht gerne einschränken lassen –von nichts und niemanden.

Was beide Krankheiten gemein haben: Sie verursachen häufig starke Beschwerden in den Beinen. Wer an einem Lymphoder Lipödem leidet, muss flachgestrickte Kompressionsstrümpfe tragen. Sie helfen, die Spannungsschmerzen zu lindern und bringen die Lymphe in Fluss. Die VenoTrain curaflow sind dank dem hohen Mikrofaseranteil besonders weich und verhindern starkes Schwitzen, weil sie die Haut atmen lassen. Zudem gibt es eine grosse Farbauswahl, die auch modisch keine Wünsche offen lässt. Perfekt also für Power-Frauen, die sich nicht gerne einschränken lassen –von nichts und niemanden.

Schau mal die dicken Beine. Diese Bemerkung, oft nur leise getuschelt, hören Frauen mit einem Lymph- oder Lipödem öfters. Hinzu kommen all die Blicke, die sie sich gefallen lassen müssen. Was dagegen hilft? Selbstvertrauen. Wenn man sich in seiner Haut wohlfühlt, werden die Meinungen anderer plötzlich weniger wichtig. Auch die Aufklärung trägt zur Entstigmatisierung bei.

Schau mal die dicken Beine. Diese Bemerkung, oft nur leise getuschelt, hören Frauen mit einem Lymph- oder Lipödem öfters. Hinzu kommen all die Blicke, die sie sich gefallen lassen müssen. Was dagegen hilft? Selbstvertrauen. Wenn man sich in seiner Haut wohlfühlt, werden die Meinungen anderer plötzlich weniger wichtig. Auch die Aufklärung trägt zur Entstigmatisierung bei.

Die ersten Anzeichen eines Lipödems sind Spannungsgefühle, Ermüdung und Schmerzen in den Beinen. Beim Lymphödem sind es meistens langanhaltende Schwellungen. Die beiden Krankheiten werden oft verwechselt. Dabei unterscheiden sich die

Hier finden Sie unsere Spezialisten

Hier finden Sie unsere Spezialisten

Laden Sie via QR-Code die Liste unserer Fachhändler herunter.

Laden Sie via QR-Code die Liste unserer Fachhändler herunter.

Die ersten Anzeichen eines Lipödems sind Spannungsgefühle, Ermüdung und Schmerzen in den Beinen. Beim Lymphödem sind es meistens langanhaltende Schwellungen. Die beiden Krankheiten werden oft verwechselt. Dabei unterscheiden sich die

Weitere Informationen über VenoTrain curaflow und die Auswahl weiterer Farben finden Sie unter www.bauerfeind.ch.

Weitere Informationen über VenoTrain curaflow und die Auswahl weiterer Farben finden Sie unter www.bauerfeind.ch.

Mit Drive durchs Leben! Die Kompressionsstrümpfe VenoTrain curaflow

Früherkennung von Brustkrebs

Brustkrebs ist die häufigste Krebserkrankung bei Frauen. Wir haben mit Dr. Jeanne Fürst über Früherkennung und Prävention gesprochen.

Text: Chan Sidki-Lundius

Foto: cottonbro studio/pexels, Bruno Schlatter/GESUNDHEITHEUTE

Warum ist die Früherkennung von Brustkrebs so wichtig und wie lautet Ihre Empfehlung in puncto Früherkennung?

Jedes Jahr erkranken in der Schweiz 6‘500 Frauen neu an Brustkrebs. Übrigens sind jährlich auch 50 Männer davon betroffen. Je früher man Brustkrebs entdeckt, desto besser sind die Überlebenschancen. Daher ist die Früherkennung von grosser Bedeutung. Die Tatsache, dass Brustkrebs die häufigste Krebserkrankung bei Frauen ist, unterstreicht die Wichtigkeit, sich mit dieser Erkrankung auseinanderzusetzen. Auch ich habe Freundinnen, die von Brustkrebs betroffen sind. Wir meistern die Situation gemeinsam und es fliessen manchmal auch Tränen.

Die Tatsache, dass Brustkrebs die häufigste Krebserkrankung bei Frauen ist, unterstreicht die Wichtigkeit, sich mit dieser Erkrankung auseinanderzusetzen.

Wie steht es um die Prävention von Brustkrebs, was ist da heute möglich? Die Mammografie ist eine Röntgenuntersuchung und stellt die wichtigste Methode zur Früherkennung von Brustkrebs dar. Sie ermöglicht die frühzeitige Erkennung von Vorstufen eines Tumors, die im ungefährlichen Stadium behandelt werden können, um dessen Entwicklung zu einem bösartigen Krebs zu verhindern. Brustkrebs wird am häufigsten bei Frauen zwischen 50 und 69 Jahren entdeckt. Deshalb werden Frauen ab 50 in vielen Kantonen alle zwei Jahre zum Screening eingeladen. Diese systema-

tischen Früherkennungsprogramme werden nach standardisierten, strengen Qualitätskriterien durchgeführt. In Kantonen ohne Screeningprogramme ist es sinnvoll, dass sich Frauen bei ihrer Frauenärztin oder ihrem Frauenarzt über die Möglichkeiten der Früherkennung von Brustkrebs informieren. Auch ich gehe alle zwei Jahre zur Mammografie. Meine Brustdichte ist sehr hoch, das heisst, ich habe noch viel Drüsenund Bindegewebe, was die Untersuchung der Brust erschwert. Deswegen lege ich umso mehr Wert auf eine regelmässige und genaue Kontrolle. Wenn Brustkrebs in der Familie gehäuft auftritt, ist es wichtig, sich frühzeitig und individuell zu informieren und untersuchen zu lassen. Mit zunehmendem Alter steigt das Risiko, an Brustkrebs zu erkranken. Vier von fünf Brustkrebspatientinnen sind zum Zeitpunkt der Diagnose über 50 Jahre alt. Ich möchte deshalb jede Frau ab 50 ermutigen, zur Mammographie zu gehen, denn die Untersuchung rettet Leben!

Was kann man selbst tun? Es lohnt sich, die eigene Brust selbst ab -

zutasten und kennenzulernen, obwohl das eine Untersuchung bei der Gynäkologin oder beim Gynäkologen nicht ersetzt. Und noch ein Tipp: Wer wenig Alkohol trinkt und nicht raucht, verringert das Risiko an Brustkrebs zu erkranken. Darüber hinaus wirken sich Stillen, Sport und eine gesunde, fettarme Ernährung positiv aus.

Brustkrebs wird am häufigsten bei Frauen zwischen 50 und 69 Jahren entdeckt.

Fakten

Als Frau liegt Dr. Jeanne Fürst die Brustkrebsprävention besonders am Herzen. Aus diesem Grund thematisiert sie die Erkrankung und deren Prävention auch regelmässig in ihrer TV-Sendung GESUNDHEITHEUTE (samstags um 18.15 Uhr auf SRF1).

Brustkrebs-Begleitung von Frauen für Frauen

Beldona unterstützt von Brustkrebs betroffene Frauen vor, während und nach einer Brustkrebsbehandlung auf dem Weg zu einem besseren Körpergefühl.

Rund 6’500 Frauen jährlich erhalten in der Schweiz die Diagnose Brustkrebs. Dank der Fortschritte in der Forschung, der Früherkennung und den verbesserten Therapien überleben 80 Prozent der betroffenen Frauen die Erkrankung längerfristig. Dennoch ist es für jede Frau ein Schock, wenn sie die Diagnose erhält. Begleitung vor, während und nach der Behandlung bietet das Schweizer Unternehmen Beldona, eine Marke von Frauen für Frauen. Bereits seit 1955 designt Beldona Wohlfühlprodukte für Frauen. Ob perfekt sitzende Lingerie, Bademode, Nachtwäsche oder Loungewear: Sämtliche Produkte stehen für Liebe zum Detail. Vor allem aber stärken sie das Selbstvertrauen der Frauen, stützen und begleiten sie – im Alltag und ein Leben lang, in guten wie in schlechten Zeiten. Daher hat Beldona auch für Brustkrebs-Patientinnen viele schöne und praktische Produkte im Angebot, die ihnen das Leben in allen Phasen der Erkrankung erleichtern – und das Körpergefühl verbessern.

Was Beldona auch auszeichnet, ist die persönliche und individuelle Beratung in den ausgewiesenen Beldona-Filialen. Die Mitarbeiterinnen dort sind auf Brustkrebspatientinnen geschult und wissen, worauf sie achten müssen. Sie kennen die Nöte, Belange,

Bedürfnisse und Wünsche der Kundinnen in ihrer jeweiligen Situation und können in der intimen und von Vertrauen geprägten Atmosphäre der Filiale individuell beraten, damit die Kundin immer das passende Produkt für sich findet.

Dadurch tragen sie zum Wohlbefinden der Krebs-Patientinnen bei und helfen ihnen, sich sicher durch den Alltag bewegen zu können – vollkommen unabhängig davon, ob es dabei um die Wahl der richtigen Brustprothese geht, die im Alltag, beim Sport und in der Freizeit ein natürliches und sicheres Gefühl gibt, oder um einen gut sitzenden, besonders atmungsaktiven BH.

Gut zu wissen: Eine Brustprothese kann in Absprache mit dem Arzt bzw. der Ärztin vier bis sechs Wochen nach der OP zum ersten Mal anprobiert werden. Neben den Standard- und Softprothesen zum vollen Gewichtsausgleich sind auch selbsthaftende und gewichtsreduzierte Modelle erhältlich. Für Frauen, die brusterhaltend operiert wor-

Tipp: Frauen, die zum ersten Mal eine Einlage tragen, sollten sich ein Futter in ihren BH einnähen lassen. Fragen zu diesem Thema beantworten die versierten Mitarbeiterinnen von Beldona gern!

den sind, gibt es unterschiedlich geformte Teil- und Ausgleichsprothesen.

Zum besonderen Service von Beldona gehört seit vielen Jahren die individuelle Anpassung von BHs für brustoperierte Frauen. Diesen Service bietet das Nähatelier von Beldona an. Pro Jahr werden hier über 10’000 Anpassungen gemacht, etwa 2’000 Futter eingenäht und Bügel entfernt – damit jeder BH perfekt sitzt.

Passende Begleiter für jede Phase Flauschige Pyjamas tragen dazu bei, dass Frauen sich im Spital ein wenig wohler fühlen. Auch Loungewear und Nachtwäsche, die sich leicht an- und ausziehen lässt, erleichtert die Zeit nach der OP. Ebenfalls von Beldona erhältlich sind Kompressions-BHs mit verstellbarem Reissverschluss und Klettverschlüssen an den Schultern sowie Spezial-BHs, die den Lymphfluss anregen.

Die Praxis zeigt, dass Frauen es während der Chemo- bzw. Strahlentherapie nicht mögen, eingeengt zu sein. Produkte aus sanften natürlichen Materialien sorgen dafür, dass dies nicht geschieht. Die Expertinnen von Beldona empfehlen Spezial- bzw. Comfort-BHs aus weichen Stoffen ohne Bügel, kuschelige Nachtwäsche, Lounge- und Daywear. Für Frauen, die gern schwimmen gehen, ist bei Beldona abdeckende und formende Bademode erhältlich: Sie unterstützt perfekt und schützt vor neugierigen Blicken.

Weitere Infos und Adressen: www.beldona.com/gemeinsam-gegen-brustkrebs

Wissen ist Macht – auch bei einer Krebserkrankung

EMPOWERMENT

Betroffene, die sich gut über ihre Erkrankung informieren, können sich viel zielgerichteter behandeln lassen. Patient Empowerment kann für bessere Heilung sorgen und das Leben verlängern.

Text: Katja Deutsch

Foto: Thirdman/pexels

Eine Krebserkrankung ist für Betroffene fast immer ein Schock, der eine existentielle Krise auslöst. Warum trifft es mich? Werde ich überleben? Werde ich weiterarbeiten können? Was wird aus meinen Kindern und meiner Beziehung? Habe ich eine (Mit-)Schuld an meiner Erkrankung? War ich nicht glücklich genug, habe ich zu schlecht auf mich geachtet?

Die Wissenschaft verneint einen Zusammenhang zwischen psychischer Belastung und Krebs, aber Betroffene, Angehörige und medizinisches Personal sehen diesen Punkt oftmals anders. Trainerlegende Christoph Daum schreibt den Ursprung seines im letzten Jahr diagnostizierten Lungenkrebses beispielsweise in seinem urplötzlichen Rauswurf vom FC Köln zu, der ihn damals völlig aus der Bahn geworfen habe. Immer wieder sieht man auch eine entstehende Krebserkrankung nach schweren Beziehungskrisen, Todesfällen und anderen schweren Einschnitten im Leben.

Psychische Belastung, ungesunder Stress und Depressionen beeinflussen den gesamten Lebensstil: Viele Betroffene bewegen sich in solchen Fällen kaum noch, bekommen zu wenig Tageslicht, schlafen schlecht und greifen verstärkt zu Sssigkeiten, Alkohol und Zigaretten.

Betrachtet man die Auslöser für Tumore, sieht man einen Zusammenhang aus diesen Faktoren und Krebserkrankungen: 30 Prozent der Krebsmortalität ist auf starkes Übergewicht, fehlende oder zu wenig Bewegung, hohen Alkohol- und Tabakkonsum und fehlendes Obst- und Gemüse auf dem Speiseplan zurückzuführen – also alles Punkte, die man selbstbestimmt steuern könnte.

Trotzdem können auch Menschen, die offensichtlich sehr gesund leben, eine Krebserkrankung bekommen, denn die Erkrankung ist sehr komplex. Jeder Mensch hat zudem eine andere genetische Veranlagung, eine andere Resilienz, eine andere Sensibilität und reagiert anders auf Umwelteinflüsse.

Klingt der erste Schock nach der Diagnose ab, erwacht bei vielen Betroffenen die Kampfeslust. Sie suchen alles über ihre Erkrankung heraus, informieren sich, begeben sich in Selbsthilfegruppen, stellen ihre Ernährung um und fokussieren sich (oft das erste Mal seit sehr langer Zeit) nur auf sich und ihre Gesundheit. Ein ganz neuer Blick auf das eigene Leben kann das Ergebnis sein.

Informierte Patientinnen sind kraftvolle Patientinnen. Wissen ist Macht – das gilt auch bei Krebs. Patient Empowerment bedeutet,

sich nicht in eine Opferrolle zu begeben, sondern sich aktiv um sein Gesundwerden zu kümmern. Dem medizinischen Personal zu sagen, wenn man es nicht versteht, um auf Augenhöhe kommunizieren zu können. Und vielleicht, Menschen und Dinge, die einem nicht guttun, aus seinem Leben zu entfernen.

Empowerment soll aber nicht bedeuten, dass die Patientin sich alle Informationen auf eigene Faust beschaffen soll, vielmehr sollen sie vom medizinischen Personal wie auch von der Pharmaindustrie in verständlicher Form bereitgestellt werden.

Betroffene sollen aber in die Lage versetzt werden, ihre Situation besser zu verstehen und so bei der gemeinsamen – fachlich fundierten – Entscheidungsfindung mitzuwirken. Neben Informationen über die Erkrankung an sich betrifft das auch Informationen über die möglichen Behandlungen samt dazugehöriger Risiken. Der wichtigste Punkt ist anschliessend die Motivation, seinem Behandlungsplan so gut es geht zu folgen, um gesund zu werden und langfristig zu bleiben.

ANZEIGE - ADVERTORIAL

Die Bedeutung der Kommunikation zwischen Arzt und Patient rückt mittlerweile auch mehr ins Bewusstsein der Universitäten.

Vitale Immunbooster

IMMUNSYSTEM

Die Immunabwehr des Körpers lässt sich auf vielfältige Art und Weise stärken. Einigen Vitalstoffen kommt dabei einebesondere Bedeutung zu.

Text: Kirsten Schwieger

Foto: Luke Michael/unsplash

Unsere Immunabwehr läuft tagtäglich auf Hochtouren, um den Körper vor Krankheitserregern, Schadstoffen und krankmachenden Zellveränderungen zu schützen. Dafür hat das Immunsystem ein ganzes Arsenal an Waffen zur Verfügung, welche in komplexen Prozessen zum Einsatz kommen. Solange diese körpereigene Abwehr reibungslos funktioniert, bemerken wir sie gar nicht. Ist sie jedoch geschwächt, häufen sich Infekte oder werden hartnäckiger. Auch Allergien, Autoimmunund sogar Krebserkrankungen können Folge eines geschwächten Immunsystems sein.

So gibt es viele Faktoren, welche die körpereigene Abwehr belasten und auf diese Weise schwächen. Neben Rauchen, Umweltschadstoffen, Bewegungsmangel und übermässigem Alkoholkonsum zählen chronischer Stress und eine ungesunde oder einseitige Ernährung dazu. Im Umkehrschluss lässt sich die Immunabwehr durch ausreichend Schlaf, gutes Stressmanagement, Nikotin-Verzicht sowie regelmässige Bewegung und Entspannung stärken. Alkohol sollte nur in Massen ge -

nossen werden und die Ernährung ballaststoffreich und ausgewogen sein. Denn wenn bestimmte Nährstoffe dauerhaft in der Nahrung fehlen, kann das Immunsystem nicht zu Hochtouren auflaufen.

Sekundäre Pflanzenstoffe und Vitamine spielen eine wichtige Rolle für die Immunkompetenz. Insbesondere die Vitamine A, C, D sowie bestimmte B-Vitamine tragen zur Aktivierung des Immunsystems bei. Aber auch einige Mineralstoffe sind von besonderer Bedeutung für die körpereigene Abwehr. So unterstützt Eisen die sogenannten Fresszellen des Immunsystems bei deren Kampf gegen Krankheitserreger. Auch Zink trägt zur Aktivierung der Fresszellen bei und boostert zudem die Antikörper-Produktion. Das Spurenelement Selen hingegen unterstützt spezielle Enzyme, die für den Abbau von freien Radikalen notwendig sind. Nehmen freie Radikale überhand, können sie Körperzellen und Erbgut schädigen. Auch Jod besitzt als Radikalenfänger antioxidative Funktionen.

Mit einer ausgewogenen Ernährung wird ein gesunder Körper in der Regel mit sämtlichen nötigen Nährstoffen versorgt. In Zeiten übermässiger Belastung hat der Körper allerdings einen höheren Bedarf an abwehrstärkenden Nährstoffen. Um beispielsweise Stress zu kompensieren, erhöht der Körper den Verbrauch an Mikronährstoffen. Darüber hinaus geht Stress oft mit

der Tendenz zu ungesunder Ernährung einher. Hält dieser Zustand über einen längeren Zeitraum an, kann es tatsächlich zu Mangelzuständen kommen. Um die Speicher wieder aufzufüllen, sind höhere Dosierungen notwendig, als sie mit der täglichen Ernährung erreicht werden können. Eine Zufuhr über Nahrungsergänzungsmittel ist bei nachgewiesenem Nährstoffmangel meist sinnvoll. Im Falle von Selen ist diese am sichersten mit dem anorganischen Selen Natriumselenit, da der Körper

Leben ohne Schmerz

Leben ohne Schmerz

Elisabetta Gregorio lebt seit vielen Jahren mit chronischen Schmerzen. Was im Rücken mit akuten Schmerzen begann, hat sich zu einem langen Leidensweg entwickelt.

Elisabetta Gregorio lebt seit vielen Jahren mit chronischen Schmerzen. Was im Rücken mit akuten Schmerzen begann, hat sich zu einem langen Leidensweg entwickelt.

dieses gezielt verwendet und nicht benötigte Mengen über den Urin wieder ausscheidet –eine schädliche Überdosierung wird damit vermieden.

Wenn bestimmte Nährstoffe dauerhaft in der Nahrung fehlen, kann das Immunsystem nicht zu Hochtouren auflaufen.

«Jeden Morgen stand ich mit starken Rückenschmerzen auf und konnte mich kaum richtig bewegen. Die Schmerzmedikamente halfen schon bald nicht mehr. Nach dem Besuch beim Schmerzspezialisten und der klinischen Untersuchung hatte ich eine Diagnose und einen Behandlungsplan. Der erste Schritt war eine Infiltration – eine Spritze in den Rücken beim betroffenen Facettengelenk zwischen dem 4. und 5. Lendenwirbel. Daraufhin ging es mir bereits besser, so dass klar war, welches Gelenk die Schmerzen verursacht. Dann folgte eine zweite Infiltration mit Radiofrequenz, um die Schmerzsignale dauerhaft zu unterbrechen. Mir ging es zusehends besser und heute habe ich wieder die Lebensqualität, die ich früher hatte.»

«Jeden Morgen stand ich mit starken Rückenschmerzen auf und konnte mich kaum richtig bewegen. Die Schmerzmedikamente halfen schon bald nicht mehr. Nach dem Besuch beim Schmerzspezialisten und der klinischen Untersuchung hatte ich eine Diagnose und einen Behandlungsplan. Der erste Schritt war eine Infiltration – eine Spritze in den Rücken beim betroffenen Facettengelenk zwischen dem 4. und 5. Lendenwirbel. Daraufhin ging es mir bereits besser, so dass klar war, welches Gelenk die Schmerzen verursacht. Dann folgte eine zweite Infiltration mit Radiofrequenz, um die Schmerzsignale dauerhaft zu unterbrechen. Mir ging es zusehends besser und heute habe ich wieder die Lebensqualität, die ich früher hatte.»

Akuter Schmerz kann in chronischen Schmerz übergehen. Chronischer Schmerz hat viele Gesichter. Er kann permanent bestehen, aber auch nur zeitweise über mehrere Stunden am Tag oder nur anfallsweise auftreten. Auch sind komplett schmerzfreie Tage möglich. Sie müssen Schmerzen nicht aushalten, suchen Sie kompetente Hilfe.

Zentrum für Schmerzmedizin

Sonnenbergstrasse 27, 8910 Affoltern a. A., Telefon 044 714 27 27 schmerz@spitalaffoltern.ch, www.spitalaffoltern.ch/schmerzmedizin

Akuter Schmerz kann in chronischen Schmerz übergehen. Chronischer Schmerz hat viele Gesichter. Er kann permanent bestehen, aber auch nur zeitweise über mehrere Stunden am Tag oder nur anfallsweise auftreten. Auch sind komplett schmerzfreie Tage möglich.

Sie müssen Schmerzen nicht aushalten, suchen Sie kompetente Hilfe.

Spritze in den Rücken beim betroffenen Facettengelenk zwischen dem 4. und 5. Lendenwirbel. Daraufhin ging es mir bereits besser, so dass klar war, welches Gelenk die Schmerzen verursacht. Dann folgte eine zweite Infiltration mit Radiofrequenz, um die Schmerzsignale dauerhaft zu unterbrechen. Mir ging es zusehends besser und heute habe ich wieder die Lebensqualität, die ich früher hatte.»

«Jeden Morgen stand ich mit starken Rückenschmerzen auf und konnte mich kaum richtig bewegen. Die Schmerzmedikamente halfen schon bald nicht mehr ...»

Akuter Schmerz kann in chronischen Schmerz übergehen. Chronischer Schmerz hat viele Gesichter. Er kann permanent bestehen, aber auch nur zeitweise über mehrere Stunden am Tag oder nur anfallsweise auftreten. Auch sind komplett schmerzfreie Tage möglich. Sie müssen Schmerzen nicht aushalten, suchen Sie kompetente Hilfe.

Zentrum für Schmerzmedizin

Sonnenbergstrasse 27, 8910 Affoltern a. A., Telefon 044 714 27 27 schmerz@spitalaffoltern.ch, www.spitalaffoltern.ch/schmerzmedizin

Für ein funktionierendes Immunsystem ist Obst unabdingbar.
Symbolbild
Elisabetta Gregorio

Achterbahnfahrt mit Vorteilen

Die Wechseljahre sind der Start in eine neue Lebensphase, man darf sie als Umbruch in befreitere Zeiten sehen. Bei Hitze und Stimmungsschwankungen gibt es Hilfe.

Text: Silja Ahlemeyer

Foto: Cottonbro Studio/pexels

Zwischen dem 45. und dem 55. Lebensjahr startet nochmal eine Achterbahn im Hormonhaushalt der Frau: Die Wechseljahre setzen ein. Sie lassen sich in mehrere Phasen unterteilen. Die Prämenopause markiert die Startphase der Achterbahn, bei der man langsam auf den kommenden Ritt eingestimmt wird. Die Produktion von Progesteron nimmt ab, was zu unregelmässigeren Menstruationszyklen führt. Die eigentliche Menopause ist die letzte Regelblutung einer Frau, mit der Perimenopause als Zeitraum darum herum. Diese Lebensphase gleicht am meisten dem

ständigen Auf und Ab der Achterbahn. Jetzt nimmt die Möglichkeit, Kinder zu bekommen, stetig ab, da auch der Östrogenspiegel sinkt. Sobald zwölf Monate seit der letzten Periode vergangen sind, beginnt die abschliessende Phase der Wechseljahre, die Postmenopause. Hier erreichen die Hormonspiegel im Blut ihren Tiefpunkt und die Bahn fährt langsam wieder in ruhigere Gefilde ein.

Wie Frauen ihre Wechseljahre erleben, ist ganz unterschiedlich. Etwa ein Drittel hat keine nennenswerten Beschwerden, ein weiteres Drittel erlebt leichte Nebenwirkungen im Zusammenhang mit den hormonellen Veränderungen, während nur das letzte Drittel tatsächlich stark unter den Begleiterscheinungen der Hormonveränderung leidet. Dazu zählen in erster Linie Hitzewallungen, Stimmungsschwankungen und Gewichtszunahme.

Für Frauen, die sich in dieser naturgegebenen Achterbahn unwohl fühlen, stehen vielfältige Behandlungsmöglichkeiten zur Verfügung. In den meisten Fällen sind zum Einstieg sanfte Naturheilmittel ratsam. Bei weniger schwerwiegenden Beschwerden können beispielsweise frisch aufgebrühte Tees aus Frauenmantelkraut, Mönchspfeffer oder Traubensilberkerze helfen. Ein gesunder Lebensstil spielt ebenfalls eine Rolle. Hier ist eine ausgewogene Ernährung mit ausreichender Zufuhr von Vitaminen und Mineralstoffen, insbesondere Kalzium, Magnesium, Vitamin D und den B-Vitaminen wichtig. Lebensmittel wie Vollkornund Milchprodukte, Gemüse, Sojabohnen, Beeren und Mineralwasser sollten daher regelmässig auf dem Speiseplan stehen. Auch Sport ist ein Gamechanger. Regelmässige Bewegung hilft, Hitzewallungen zu regulieren und trägt gleichzeitig dazu bei, das Körpergewicht im Normalbereich

zu halten – eine Herausforderung, die viele Frauen im entsprechenden Alter nur zu gut kennen. Rauchen, Übergewicht und mangelnde Bewegung können die Wechseljahrsbeschwerden dagegen verstärken.

Wer starke Probleme hat, kann auch die Einnahme bioidentischer Hormone in Erwägung ziehen und dies mit Frauenarzt oder Gynäkologin besprechen. In manchen Fällen können bioidentische Hormone aus Pflanzen als Alternative zur traditionellen Hormonersatztherapie verabreicht werden.

Wichtig ist es zu sehen, dass die Wechseljahre auch positive Aspekte mit sich bringen. Viele Frauen empfinden ein gesteigertes Freiheitsgefühl in Bezug auf ihre Sexualität, da die Monatsblutung entfällt und man sich keine Gedanken mehr um die Empfängnisverhütung machen muss. Die endgültige Abwesenheit der Periode bedeutet auch das Ende der monatlichen Regelbeschwerden, was von vielen Frauen als grosse Erleichterung empfunden wird – oft genauso befreiend wie das Gefühl nach der Fahrt auf einer gut abgestimmten Achterbahn.

Regelmässige Bewegung hilft, Hitzewallungen zu regulieren und trägt gleichzeitig dazu bei, das Körpergewicht im Normalbereich zu halten

Hormontherapie – Ja oder Nein? Ob und wann eine Therapie mit Ersatzhormonen in Form von Tabletten, Pflastern oder Salben sinnvoll ist, sollten Betroffene gemeinsam mit einer ausgebildeten Frauen- oder Hausärztin entscheiden. Hier bedarf es einer individuellen Beratung, bei der die Situation der Frau besprochen wird.

Zahlreiche Umwelt-

Wechseljahre meistern –

Tipps und Behandlungsoptionen

Mit 51 Jahren erleben viele Frauen die Wechseljahre. Erfahren Sie, wie pfl anzliche Arzneimittel und ein aktiver Lifestyle helfen können, die häufi gsten Beschwerden zu lindern.

Was geschieht in den Wechseljahren?

Die Wechseljahre, auch Klimakterium genannt, sind eine natürliche Phase im Leben jeder Frau, in der die Produktion der weiblichen Sexualhormone Östrogen und Progesteron in den Eierstöcken allmählich abnimmt. Dieser hormonelle Wandel beginnt oft rund um das 40. Lebensjahr und führt zu einer Reihe von körperlichen Veränderungen. Die Menstruationszyklen werden unregelmässiger, bis sie schliesslich ganz ausbleiben. Ein Jahr nach der letzten Menstruation ist die Frau offiziell in der Postmenopause.

Die Wechseljahre gliedern sich in drei Phasen:

Prämenopause: Die fruchtbare Phase, die mit dem ersten Absinken des Progesteronspiegels endet.

Perimenopause: Die Jahre unmittelbar vor und das Jahr nach der letzten Regelblutung, geprägt von schwankenden Hormonspiegeln. Die Beschwerden sind in dieser Zeit häufig am stärksten ausgeprägt.

Menopause: Zeitpunkt der letzten Menstruation, dieser wird 12 Monate rückblickend nach dem Ausbleiben der Menstruation bestimmt.

Postmenopause: Der Abschnitt nach der Perimenopause beginnt ein Jahr nach der letzten Menstruation. Estrogen und Progesteronspiegel sind niedrig.

Welche Beschwerden können Frauen in den Wechseljahren erwarten?

In dieser Lebensphase, in der viele Frauen mitten im Berufs- und Familienleben stehen, können Hormonveränderungen zahlreiche Beschwerden verursachen. Zu den Häufigsten zählen Hitzewallungen, Schweissausbrüche, Schlafstörungen, Stimmungsschwankungen, Gewichtszunahme und Nervosität. Auch Blasenschwäche, verstärkter Haarwuchs im

Gesicht und Scheidentrockenheit sind keine Seltenheit. Besonders herausfordernd ist die Unvorhersehbarkeit der Symptome, die den Alltag erheblich beeinträchtigen können.

Pflanzenkraft gegen Hitzewallungen & Co. Frauen müssen sich mit diesen Beschwerden nicht abfinden. Neben der klassischen Hormonersatztherapie bietet die moderne Frauenheilkunde pflanzliche Alternativen. Eine bewährte Arzneipflanze ist die Traubensilberkerze (Cimicifuga racemosa), deren Extrakt in pflanzlichen Arzneimitteln wie «zeller wechseljahre» und «zeller wechseljahre forte» verwendet wird. Extrakte der Traubensilberkerze können helfen, Beschwerden wie Hitzewallungen, Schweissausbrüche, Nervosität, Schlafstörungen und Stimmungsschwankungen zu lindern. Zeller wechseljahre/forte ist rezeptfrei in Apotheken und Drogerien erhältlich.

Lifestyle-Änderungen für eine beschwerdefreie Zeit

Ein aktiver Lebensstil und eine ausgewogene Ernährung sind ebenfalls gute Strategien, um Wechseljahresbeschwerden zu mindern. Da sich der Energieumsatz während der Wechseljahre verringert, ist es besonders wichtig, auf ausreichend Bewegung und eine gesunde Ernährung zu achten. Dies unterstützt nicht nur die allgemeine Gesundheit, sondern hilft auch, das Gewicht zu regulieren.

6 Ernährungstipps für den Alltag

Gemüsevielfalt: Füllen Sie Ihren Teller zur Hälfte mit Gemüse, einem Viertel mit komplexen Kohlenhydraten (wie Vollkornprodukten) und einem Viertel mit Proteinen (wie Hühnchen, Fisch oder Tofu).

Ballaststoffe integrieren: Essen Sie ballaststoffreiche Lebensmittel wie Obst, Gemüse, Vollkornprodukte und Hülsenfrüchte, um die Verdauung zu fördern und länger satt zu bleiben.

Wasser trinken: Trinken Sie ausreichend Wasser und vermeiden Sie zuckerhaltige Getränke oder Alkohol. Kräutertees und infundiertes Wasser sind gute Alternativen.

Calcium und Vitamin D: Achten Sie darauf, genügend Calcium und Vitamin D aufzunehmen, um die Knochengesundheit zu unterstützen. Milchprodukte, grünes Blattgemüse und angereicherte Lebensmittel sind gute Quellen.

Achtsames Essen: Praktizieren Sie achtsames Essen, um die Signale Ihres Körpers besser wahrzunehmen und ein Überessen zu vermeiden. Essen Sie langsam und geniessen Sie jede Mahlzeit bewusst, denn das Sättigungsgefühl tritt erst nach etwa 20 Minuten ein.

Tägliche Bewegung: ein Wochenziel an Schritten hilft bei der täglichen Bewegung dranzubleiben. Circa 7‘000 – 10‘000 Schritte pro Tag können helfen, mehr Kalorien am Tag zu verbrennen und ist zudem allgemein gesundheitsförderlich.

Die Wechseljahre sind eine Zeit des Wandels, aber auch eine Chance für einen neuen, gesunden Lebensabschnitt. Pflanzliche Arzneimittel und ein aktiver und bewusster Lebensstil können Frauen helfen, diese Phase ihres Lebens selbstbewusst und gestärkt zu durchlaufen.

Dies sind zugelassene Arzneimittel. Lesen Sie die Packungsbeilagen.

Mehr Infos:

Dr. med. dent.

May Zimmermann, Msc.

Praxis für Kinderzahnheilkunde (CH)

Master of Science Kieferorthopädie (D)

Dr. med. dent.

Judith Th. Aufenanger, M Sc., M.Sc.

Praxis für Orale Implantologie (CH)

Praxis für Ästhetische und Restaurative Zahnmedizin (CH)

Master of Science Orale Implantologie (D)

Master of Science Parodontologie und Implantologie (D)

Master of Science Kieferorthopädie (D)

med. dent.
Michal Plocica, Msc.

Turn static files into dynamic content formats.

Create a flipbook
Issuu converts static files into: digital portfolios, online yearbooks, online catalogs, digital photo albums and more. Sign up and create your flipbook.