Dental Tribune 2025-3

Page 1


The World‘s Dental Newspaper

GYAKORLÓ FOGORVOS AJÁNLJA

Az endodonciai ellátás a trepanációs nyílás kialakításával kezdődik. Ez a lépés biztosítja a gyökércsatorna bemeneti nyílások könnyű lokalizálhatóságát, a csatornák kézi tűkkel való szondázhatóságához szükséges megfelelő hozzáférést...

Migrén és szájegészség közötti összefüggés: új kutatás nőknél

Egy nemrégiben készült tanulmány eredményei arra utalnak, hogy lehetséges kapcsolat áll fenn a száj mikrobiomja és az idegrendszer között. (Kép: Kay Abrahams/ peopleimages.com/Adobe Stock)

Dental Tribune International

Migrén és szájegészség közötti öszszefüggés – elsőre kevés kapcsolatot gondolhatnánk közöttük. A Sydney-i Egyetem legfrissebb vizsgálata azonban új megvilágításba helyezte a rossz szájegészség, az orális mikrobiom és a krónikus fájdalomállapotok közötti kapcsolatot a nőknél. Egy friss kutatás azonban rávilágít a lehetséges kapcsolatra. Az ausztrál Sydney-i Egyetem kutatói azt vizsgálták, hogy van-e bármilyen kapcsolat a migrén és szájegészség közötti összefüggés során. A vizsgálat során a szájflóra, vagyis az orális mikrobiom is kulcsszerepet kapott.

Az első ilyen típusú vizsgálat a világon

A kutatás vezetője, prof. Joanna Harnett hangsúlyozta: ez az első olyan klinikai vizsgálat, amely a szájegészséget, az orális mikrobiomot és a fájdalomszindrómákat egyszerre elemzi. A vizsgálat 186 új-zélandi nő részvételével zajlott. A résztvevők 67 százaléka fibromyalgiában szenvedett. Ez egy krónikus betegség, amely kiterjedt izom- és ízületi fájdalommal, fejfájással, fáradtsággal és kognitív zavarokkal jár. A fibromyalgia elsősorban nőket érint, így különösen fontos volt ebben a populációban vizsgálni a migrén közötti összefüggés lehetőségét.

A résztvevők részletes kérdőíveket töltöttek ki, melyek során feltérképezték a kórelőzményeiket. Emellett a kutatók felmérték szájhigiéniájuk állapotát, a fájdalom gyakoriságát és intenzitását, valamint életminőségüket és táplálkozási szokásaikat. Ezen túlmenően nyálmintákat gyűjtöttek, amelyeket genetikai módszerekkel elemeztek. Így pontos képet kaptak az orális mikrobiom összetételéről.

Az eredmények: szoros kapcsolat a szájhigiéné és a fájdalom között

A rossz szájegészség a vizsgálat során a vizsgált alanyoknál szignifikánsan magasabb fájdalomszinttel társult. A testfájdalom kockázata 60%-kal nőtt, míg a migrén közötti összefüggés különösen szembetűnő volt. A gyenge szájhigiéné 49%-kal növelte a migrén kockázatát. A kutatók azonosítottak négy baktériumfajt, amelyek fokozott fájdalomhoz kapcsolódtak: Dialister, Fusobacterium, Parvimonas és Solobacterium. A tanulmány szerint az orális mikrobiom eddig alábecsült szerepet játszhatott a krónikus fájdalom kialakulásában. A szájban élő baktériumok nagymértékben befolyásolhatják az immunrendszer működését, és közvetve hatással lehetnek az idegrendszer fájdalomérzékelésére. A kutatók gyenge, de mérhető kapcsolatot találtak a rossz szájhigiéné és az egészségtelen étrend között is. Ez arra utal, hogy a táplálkozás és a szájegészség együtt ronthatják a migrén kockázatát. A migrén és a szájegészség közötti összefüggés különösen a nőket érinti. A migrén és a fibromyalgia is főként nőknél fordul elő, és jelentősen rontja az életminőséget. Az új kutatás felveti annak lehetőségét, hogy a szájhigiéné javítása csökkentheti a migrén és más fájdalomszindrómák kialakulásának esélyét. Bár ez még további vizsgálatokat igényel, az eredmények ígéretesek.

Az „An association between poor oral health, oral microbiota, and pain identified in New Zealand women with central sensitisation disorders: A prospective clinical study” című tanulmány 2025. április 9-én jelent meg online a Frontiers in Pain Research című folyóiratban. DT

SZÍNES HÍREK A NAGYVILÁGBÓL

A King’s College London úttörő tanulmánya kimutatta, hogy a keratin –amely emberi hajból vagy gyapjúból nyerhető – kristályos vázszerkezetet képezhet a fogzománcon, amely védelmet és regeneráló hatást is biztosít.

SZÍNES HÍREK A NAGYVILÁGBÓL

Az alfa-gal szindróma egy késleltetett allergiás reakció, amely egy bizonyos szénhidrát-molekulára jelentkezik, amely emlősök húsában és bizonyos gyógyászati termékekben található, és amelynek fontos...

25. Dental World –negyedszázad óta töretlen fejlődés!

A Dental World a fogorvostudomány, a betegellátást segítő fogászati ipar és a kereskedelem nagyszabású arzenálja

Várjuk Önt is a 25. Dental World Nemzetközi Tudományos Konferencia és Fogászati Szakkiállításra, Hungexpo, Budapest, 2025. október 16–17–18-án!

2025-ben nagyon fontos és jelentős eseményre kerül sor, hiszen a Dental World 25. évfordulójára készülünk! Szeretnénk méltó módon megünnepelni a rendezvény negyedszázados múltját, és egyúttal bemutatni a jelenét is.

Az idei konferenciák és a kiállítás előkészületi munkáit természetesen már tavaly elkezdtük, de mindig építünk az előző évek, évtizedek hagyományaira és a tapasztalatainkra is. Minden esztendőben ez újra és újra egyre fokozottabb felelősséggel jár, hiszen rohamosan fejlődik a fogászat minden szakterülete, változnak az alkalmazott technikák, módszerek, és lényegesen bővülnek, megújulnak az ehhez szükséges eszközök, berendezések is. Igen körültekintő munkát kíván, hogy a kiállítás iránt érdeklődők, a kongresszusok résztvevői valóban „upgrade”, vagyis a legfrissebb, és

valóban naprakész ismeretekhez jussanak a rendezvény során. A három nap során a fogászat legaktuálisabb témáit felölelő előadások várják majd Önöket, ahol hallhatnak pl. az implantológiai kutatások legfrissebb eredményeiről, a konzerváló fogászat, a fogszabályozás, az esztétika, az endodontia, a prevenció és a fogtechnika időszerű kérdéseiről, a legkorszerűbb módszerekről. Új kongresszusként mutatkozik

be az alvásterápia a fogászatban, de a praxis kongresszus és a digitális fogászat és a hallgatók kongreszszusa is rendelkezik már többéves hagyománnyal. A kongresszusi programokon 13 önálló téma kerül napirendre közel 100 előadás során. Kérjük, tanulmányozza át a szakmai programokat, ahol több mint 25 országból közel 60 ismert/elismert

” 3. oldal

hirdetés
Ahol a szoftverrel többet spórol, mint amennyit költ rá.

alphaimplant.

szakemberrel találkozhat, bővítheti tudását, és utána a hétköznapi gyógyító munkája során szinte azonnal hasznosíthatja naprakész ismereteit! Az élményhelyszíneken cégek és a szervezők is várják Önöket, lesz számtalan újdonság is. Élő bemutatók, szakmai versenyek és a mindig nagyon nagy érdeklődést kiváltó élő műtéteket is megszervezzük az idei évben is. Várjuk Önöket a díjmentes kávézóban és a koktélbárban is!

Célunk, hogy a fogászatban dolgozók számára kihagyhatatlan esemény legyen a Dental World! A szervezők nagyon örülnének, ha minél többen részesei lennének ennek az évfordulós, ünnepi három napnak, ezért most kedvezményes

jegy vásárlására is ösztönözzük a csatlakozni vágyókat!

A világ szinte minden szeglete képviseltetni fogja magát az idei rendezvényen, több mint 50 ország fogászattal foglalkozó szakemberei jönnek el Budapestre a különböző előadások résztvevőjeként, illetve látogatóként.

A kiállítótérben 200 standon 400 gyártó jelenik meg a termékeivel, 25 ország képviseletében. Nemzetközi szinten is maximálisan elismert előadók részvételével zajlik 3 napon át az Esztétika, az Endodontia, az Orthodontia, az Implantológia és egy napon át a Digitális Fogászat és a Fogtechnika Kongresszus. Ezeken a kongresszusokon összesen 60 előadás hangzik majd el a fogászati szakma külföldi országokban is méltatott legkiválóbb képviselőitől, angol nyelven.

Térítésmentes

A szakmát érintő új ismeretek megszerzéséhez további konferenciák is hozzájárulnak, két napon át tart az évtizedek óta nagy érdeklődéssel kísért Prevenciós Kongresszus, valamint idén is megrendezésre kerül a Fiatalok fiataloknak- és Praxismenedzsment Kongresszus, valamint Fogorvos- és Fogtechnikus Tanulónap is. Ezeken a rendezvényeken összesen 35 előadás hangzik majd el igen kiváló hazai szakemberektől magyarul.

A fenti számok természetesen nem tükrözik/tükrözhetik igazán reálisan a Dental World jelentőségét, értékeit, csupán jelzik a szervezők szándékait és igen sokoldalú előkészítő munkáját, hogy minden eddiginél változatosabb, „színesebb” és színvonalasabb legyen a 3 nap programja!

A Fogtechnikus tanulóverseny idén is megrendezésre kerül, 2 napon át készülnek a résztvevők a versenyfeladatok megoldására. Széles választékból válogathatnak azok is, akik a workshop programokon akarják az ismereteiket gyarapítani azzal a céllal, hogy ezeket majd a mindennapi munkájukban is felhasználhassák.

A szakmai programok mellett mindennap tovább gazdagítják a tudást a különböző Live demók, a terv szerint 12 alkalommal megtartott élő műtétek és a legkülönbözőbb látványbemutatók, amelyeket mind-

három nap folyamán az érdeklődők nagy méretben kivetítve követhetnek.

Talán nincs a szakmának olyan szeglete, amely nem kapna valamilyen bemutatkozási lehetőséget a rendezvényen.

A kezelőegységektől a munkaruhákon át, a fogászati prevenciótól a rendelők menedzseléséig, a betegekkel való kommunikációtól az új műtéti technikákig mindenki igyekszik elhozni a legfrissebb, legkorszerűbb tudását.

A permanens fejlődés egyik fontos „hozama”, hogy igen komplexszé vált a szakma, így nagyon sok szereplő együttműködése és sokféle tudás ötvözése kell ma már a sikerhez! Így lett az évek során a Dental World is egyre színesebb, egyre öszszetettebb rendezvény, a tudás és

fogászati szolgáltatást nyújt egy aucklandi fogászati rendelő a hajléktalanoknak

Dental Tribune International

Az emelkedő fogászati kezelési és megélhetési költségek, valamint a növekvő társadalmi egyenlőtlenségek miatt sok új-zélandi felnőtt számára elérhetetlenné vált a rendszeres fogorvosi ellátás. A társadalom legszegényebb rétegeinél további akadályt jelenthet a hajléktalanság és az egészségügyi szolgáltatások iránti bizalmatlanság, amelyek akár életmentő szájüregi kezeléseket is megakadályozhatnak.

Az új, nemrégiben nyílt klinika térítésmentes fogászati szolgáltatást nyújt a hajléktalanoknak Egy fogászati rendelő Új-Zéland legnagyobb városában, Aucklandben erre a sürgető problémára kínál megoldást. A klinika a helyi jótékonysági szervezet, az Auckland City Mission támogatottjait, főként hajléktalanokat látja el. Az egyik önkéntes fogorvos szerint a szolgáltatás célja a páciensek teljes körű, személyre szabott ellátása, akik közül sokan életükben először vesznek részt önkéntes fogászati kezelésen.

A Radio New Zealand (RNZ) beszámolója szerint a klinika július 1-jén

nyitotta meg kapuit. Hetente három napon összesen 17 fogorvos fogadja a pácienseket. Dr. Hugh Trengrove önkéntes fogorvos elmondta: a szolgáltatás az egyéni hozzáférési, kulturális és érzékszervi igények figyelembevételével működik. „Ez egy biztonságos hely számukra, és olyan ellátást nyújtunk, amely a páciensek valós szükségletein alapul” – mondta. Hozzátette: „Nem csak fogászati kezelést adunk, hanem egy támogató, holisztikus környezetben nyújtunk ellátást, ahol valóban megértjük a rászorulók igényeit.”

A Szociális Fejlesztési Minisztérium által nyújtott fogászati támogatások fedezik a költségeket

A kezdeményezés főként adományokból jött létre, melyek fedezték a felszerelések beszerzését és egy teljes munkaidős fogászati asszisztens bérét. A páciensek kezelésének költségét a Szociális Fejlesztési Minisztérium által nyújtott fogászati támogatások fedezik, amelyek akár 1000 új-zélandi dollár (kb. 514 euró) értékű azonnali és alapvető kezelést biztosítanak – beleértve a fogtöméseket és az ínyfertőzések kezelését. Szükség esetén a támogatási összeg egyedi elbírálással emelhető.

Brendan Short, az Auckland City Mission lakhatási és egészségügyi igazgatója szerint a hajléktalanság megnehezíti a fogorvosi ellátáshoz való hozzáférést. A korábbi negatív tapasztalatok pedig általános bizalmatlansághoz vezethetnek a fogászati kezelésekkel szemben. „Az általunk ellátott emberek gyakran komoly traumákat éltek át, és a szegénység több területen is negatívan hat az életükre” – mondta, hozzátéve, hogy a szolgáltatás iránt már most is nagy az igény, és sok páciens 4-5 kezelésből álló kezelési tervet kapott.

Aggasztó adatok a magas fogászati költségek miatt Az új-zélandi egészségügyi felmérés legfrissebb adatai szerint a felnőttek 44,9%-ának van fogászati ellátás iránti szükséglete, azonban a magas kezelési költségek miatt nem tudnak eljutni.

A költségek különösen gyakran jelentenek akadályt a maori és csendes-óceáni származású felnőttek, valamint a fogyatékossággal élők és a hátrányos helyzetű területeken élők számára. Egy korábbi cikkünk során is már aggasztó adatokról szóltak az új-zélandi jelentések. DT

az azt kiszolgáló eszközök együttes tárháza.

Mi arra készülünk és bízunk abban, hogy a Dental World 2025-ben ismét – de az eddigieknél még emlékezetesebb módon – a fogorvostudomány, a betegellátást segítő fogászati ipar és kereskedelem nagyszabású „arzenálja”, ünnepe lesz!

Legyen Ön is részese ennek a szakmai találkozónak!

Célunk 25 éve változatlan: HÁROM

NAP a FOGÁSZAT SZOLGÁLATÁBAN!

Találkozzunk a 25. Dental Worldön!

IMPRESSZUM NEMZETKÖZI SZÉKHELY

FELELŐS KIADÓ ÉS VEZÉRIGAZGATÓ: Torsten Oemus

TARTALOMÉRT FELELŐS IGAZGATÓ: Claudia Duschek

Dental Tribune International GmbH

Holbeinstr. 29, 04229 Leipzig, Germany Tel.: +49 341 4847 4302 Fax: +49 341 4847 4173

Általános információ: info@dental-tribune.com

Hirdetésfelvétel: mediasales@dental-tribune.com www.dental-tribune.com

A Dental Tribune International GmbH azon anyaga, amelyet újra nyomtattak vagy lefordítottak és újból kinyomtattak ebben a kiadásban a Dental Tribune International GmbH szerzői jogi védelme alatt áll. Az ilyen anyagokat a Dental Tribune International GmbH engedélyével lehet csak közzétenni. A Dental Tribune a Dental Tribune International GmbH védjegye. Minden jog fenntartva. © 2025 Dental Tribune International GmbH. A Dental Tribune International GmbH előzetes írásbeli engedélye nélkül bármilyen módon, egészben vagy részben történő sokszorosítása kifejezetten tilos.

A Dental Tribune International mindent megtesz annak érdekében, hogy a klinikai információkat és a gyártók termékeiről szóló híreket pontosan adja közre, nem vállal azonban felelősséget a termékekről szóló állítások helytállóságáért vagy a nyomdahibákért. A kiadó nem vállal továbbá felelősséget sem a terméknevekért vagy -leírásokért, sem a hirdetők közleményeiért. A szerzők által kifejtett véleményt a sajátjuknak kell tekinteni, és azok semmi módon nem tükrözik a Dental Tribune International véleményét.

KIADJA: DP HUNGARY KFT. 1012 Budapest, Kuny Domokos u. 9.

FELELŐS KIADÓ: Laczkó Tamás

FORDÍTÓ: Laczkó Leonard

NYOMDAI ELŐKÉSZÍTÉS: DP Hungary Kft.

NYOMDAI KIVITELEZÉS: Copy & Consulting Kft.

ADATEGYEZTETÉS, INFORMÁCIÓ: Kiss Éden Aliz, 06-30-472-0030

HIRDETÉSFELVÉTEL: Laczkó Tamás, 06-30-472-0030

Az Aucklandi Tanács szerint Új-Zéland legnagyobb városában a hajléktalanok száma 53%kal nőtt az idei januárral végződő négy hónapos időszakban. (Kép: Rafael Ben-Ari/Adobe Stock)

A megfelelő trepanációs nyílás kialakítása

Három szabály a komplex esetek ellátásának sikerességéért

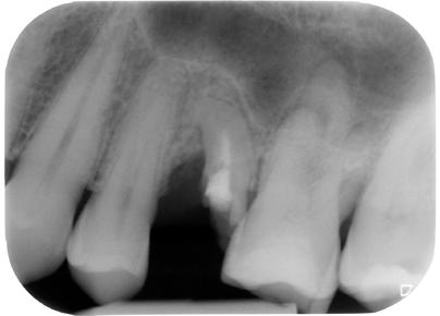
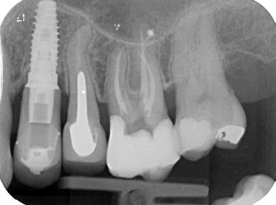
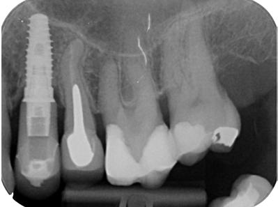
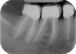
1. ábra: Kiindulási röntgen. A felső nagyőrlőfog trepanálását akut beavatkozásként egy másik rendelőben végezték.

Az endodonciai ellátás a trepanációs nyílás kialakításával kezdődik. Ez a lépés biztosítja a gyökércsatorna bemeneti nyílások könnyű lokalizál-

hatóságát, a csatornák kézi tűkkel való szondázhatóságához szükséges megfelelő hozzáférést, valamint a gyökércsatornák feltágításához, tisztításához és a gyökértömés elkészítéséhez szükséges kiindulási

feltételeket. A trepanációs nyílás kialakítására vonatkozó szabályok meghatározzák, hogy ez a nyílás milyen formával és mérettel kerül kialakításra, valamint azt is, hogy a gyökércsatorna-bemenetekhez képest hol helyezkedik el. Ez a kezdeti fázis jelentős mértékben meghatározza az ezt követő lépések lehetséges sikerességét. Kijelenthető, hogy az endodonciai ellátás sikeressége nagymértékben függ a trepanációs nyílás megfelelő kialakításától [1–3]. Ha a trepanációs nyílás nem megfelelő pozícióban, mélységben, vagy kiterjedésben kerül kialakításra, akkor az ezt követő terápiás lépések során joggal számíthatunk komplikációk megjelenésére. Megnehezíthetik, vagy bizonyos helyzetekben lehetetlenné tehetik a gyökércsatorna-bemenetek lokalizálhatóságát, a csatornák mechanikai tisztítása során a nikkel–titán (Ni–Ti) gyökérkezelő tűkben fraktúrák kialakulásához vezető nagyságú erők ébredhetnek, sőt akár a megmaradt dentinállo -

2. ábra: A hozzáférési nyílás kialakítása során túlzott mértékű ép foganyag eltávolítása történt mesiobukkális és apikális irányba.

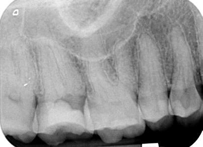
– 3. ábra: A visszamaradt nagy méretű pulpakő teljes mértékben elzárja a palatinális csatornabemenetet. – 4. ábra: A gyökértömés behelyezése előtt látható állapot. A csatornák feltágítása és tisztítása befejeződött.

delkezésünkre azok a szuperelasztikus és rugalmas tulajdonságokkal rendelkező Ni–Ti ötvözetből készült eszközök, amelyeket napjainkban a gyökércsatornák mechanikai megmunkálása során alkalmazunk. Ennek megfelelően, ha közvetlen, egyenes vonalú hozzáférés állt rendelkezésre a gyökércsatorna-bemenetek irányába, akkor a tágítás során használt eszközökben kisebb erők ébredtek a mechanikai megmunkálás során, valamint ez a kezelést végző orvos számára is sokkal jobb, direkt rálátást biztosított a területre. Manapság a hagyományos elveket követő trepanációs nyílásokra anakronizmusként tekinthetünk, mivel az anyagtani fejlesztések lehetővé tették a sokkal konzervatívabb trepanációs nyílások kialakítását. A hagyományos (ausztenites), és a hőkezelt (martenzites) Ni–Ti ötvözetekből készült eszközök anyagtani tulajdonságai egyaránt kedvezőbbé váltak. Sokkal flexibilisebbek, magasabb a ciklikus terheléssel szembeni ellenálló képességük, és jobban tolerálják, ha nem egyenes vonalban kerülnek bevezetésre a gyökércsatornákba.

Ennek ellenére mindenkit óva intenénk az ultrakonzervatív hozzáférések alkalmazásától. Ezekben az esetekben a gyökércsatorna-bemenetekre való rálátásunk rendkívül korlátozott és a gyökérkezelő tűket is fokozottabb mechanikai terhelés éri a gyökércsatornák megmunkálása során [4–5]. Ez a kialakítás az endodonciai kezelés kimenetele, vagy a foganyag megőrzése szempontjából sem hordoz magában jelentős

a kezelendő fog klinikai és radiológiai vizsgálatának elvégzése. A vizsgálat során a kezelést végző orvosnak az alábbi szempontokat kell figyelembe vennie: A fog pozíciója és dőlése (6–7. ábrák), a szuvasság kiterjedése, a meglévő restaurátumok minősége és a parodoncium állapota. Ezekből olyan fontos információkat nyerhetünk, amelyek jelentős mértékben befolyásolhatják a trepanációs nyílás kialakításának a menetét.

A radiológiai felvételek elemzése során szintén kritikus információkat nyerhetünk. A felvételek kiértékelése során az alábbi szempontokat érdemes figyelembe venni:

A meglévő restaurátumok állapota és szekunder caries esetleges jelenléte,

• Periradicularisan vagy periapikálisan elhelyezkedő radiolucens léziók,

• A fogbélkamra és a gyökércsatorna-rendszer körvonala,

• A gyökerek lefutása,

• Korábban készült gyökértömés jelenléte, és a gyökértömés minősége, Külső vagy belső gyökérresorptiora utaló jelek,

• Perforációra vagy törésre utaló jelek.

A klinikai és radiológiai leletek szakszerű elemzése során állíthatjuk fel a parodontális és a restauratív fogászati diagnózisunkat és határozhatjuk meg a kezelés várható prognózisát. Ezek kritikus információnak számítanak a fog megtarthatóságának mérlegelése során.

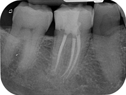
5. ábra: Egyéves kontrollröntgen. – 6. ábra: Kiindulási felvétel. A mesiális irányba dőlt alsó első nagyőrlőfogat irreverzibilis pulpitissel diagnosztizáltuk, amely vélelmezhetően a disztális oldalán található parodontális lézióból indult ki. – 7. ábra: A posztoperatív felvételen látható, hogy a hozzáférési nyílás kialakítása a fog tengelyállásának megfelelő szögben történt.

8. ábra: A műtét előtti röntgenfelvétel a 45-ös és 46-os fogat érintő súlyos szuvasodási folyamatokat mutatja.

mány kritikus mértékű strukturális károsodását is okozhatják (1–5. ábrák). Egészen a közelmúltig annak a fontosságát hangsúlyozták, hogy a trepanációs nyílások kiterjedésének kellően nagynak kell lennie ahhoz, hogy a kézi és gépi eszközök számára közvetlen, egyenes vonalú hozzáférést biztosítsanak a gyökércsatornákba való behatolás során. Az utóbbi években viszont a minimálinvazív módon kialakított trepanációs nyílások (ultrakonzervatív üregek, ninja hozzáférés stb. …) [4] előnyeire fókuszáló szemléletek kaptak egyre nagyobb nyilvánosságot.

A kezdetekben az tette szükségessé a trepanációs nyílások széles kiterjesztését, hogy még nem álltak ren-

előnyöket. Ezek alapján kijelenthető, hogy a túlzottan konzervatív trepanációs nyílások kialakítása nem hordoz magával semmiféle konkrét gyakorlati előnyöket, azonban bizonyítottan veszélyezteti az endodonciai kezelés sikerességét.

A jelenleg elfogadott szemlélet szerint azt tekinthetjük kellően konzervatív trepanációs nyílásnak, amely a lehető legtöbb saját foganyag megőrzése mellett megfelelő rálátást és hozzáférést biztosít a gyökércsatornák lokalizálásához, tágításához, fertőtlenítéséhez és töméséhez, ugyanis ezek a lépések jelentik az endodonciai ellátás sarokköveit. Az optimális trepanációs nyílás kialakításának első lépése

Fontos, hogy a trepanációs nyílás végleges formájának kialakítása előtt teljes mértékben megtörténjen a szuvas foganyag és a nem megfelelően záró vagy funkcionáló restaurátumok eltávolítása. Ezáltal lehetőségünk adódik a fennmaradó strukturálisan ép dentinállomány felmérésére – amely a restauratív diagnózisunkat nagymértékben befolyásolja – és ezzel biztosíthatjuk azt, hogy a gyökércsatornák megmunkálása során nem juttatunk le fertőzött foganyagot a gyökerek belsejébe. A restauratív diagnózisunk felállítása során a meglévő ép foganyag állapotának vizsgálatán kívül repedések, törésvonalak és szekunder caries jelenléte után is

ábra: A kezelési terület izolálása érdekében kofferdám került felhelyezésre. A szuvas foganyag eltávolítását követően körkörös matricákat helyeztünk fel az endodonciai csonkfelépítés érdekében. – 10. ábra: A hiányzó falak kiépítése. – 11. ábra: A 45-ös és 46-os fog előkészítve és megtisztítva, készen állnak a gyökércsatorna-rendszer betömésére.

kutatunk [6]. A fenti faktorok mind hatással vannak a fog várható prognózisára. Az üreg teljes körű megtisztítása lehetővé teszi, hogy szükség esetén szabályszerűen el tudjuk végezni az endodonciai csonkfelépítést, amely a későbbiekben a kofferdámizolálás felhelyezhetőségét biztosítja. Amenynyiben lehetőségünk van rá, akkor minden esetben törekedjünk végleges endodonciai csonkfelépítés készítésére. Ez jelentős mértékben megkönnyíti az endodonciai kezelések kivitelezését és hozzájárul a gyökércsatornarendszer fertőtlenítésének szakszerű kivitelezéséhez. Az endodonciai csonkfelépítés elvégzésére fordított idő többszörösen megtérül a fog – gyökértömés elkészítését követően végzett – végleges felépítése során, mivel ekkor már gyakorlatilag egy minden oldalról ép falakkal körülvett üreg feltöltését kell csak elvégeznünk (8–12. ábrák).

ábra: A jobb alsó kvadráns helyreállítása után készült röntgenfelvétel.

A trepanációs nyílás kialakításának folyamatát az alábbi egymást követő szakaszokra tudjuk osztani: A fogbélkamra megnyitása és az üreg formájának kialakítása, a gyökércsatornabemenetek felkeresése, az üreg széleinek kidolgozása. Ezek közül az első lépés a legkritikusabb, mivel jelentős mértékben befolyásolja a további lépések megfelelő kivitelezhetőségét. Az egyik legfontosabb szempont, hogy az üreg kialakításának lehetővé kell tennie, hogy a kezelést végző orvosnak teljes rálátása legyen a pulpakamra aljára és a gyökércsatorna-bemenetekre. A kezelés sikerességét csökkentheti, hogyha a pulpakamra teteje csak részlegesen kerül eltávolításra, de a fogbélkamrában lévő pulpa nem teljes körű eltávolítása (pl.: viszszamaradt pulpaszarvak) is veszélyeztetheti a kezelés kimenetelét. A gyökércsatornabemenetek lokalizálása, főként a beszűkült gyökércsatornákkal rendelkező fogakban, sokszor kihívást jelent a beavatkozást végző orvosok számára. Ezen lépés során már nem kizárólag gyémántfúrókat használunk, hanem megkezdjük a kifejezetten erre a célra kifejlesztett célszerszámok alkalmazását. Az üreg végső határainak kidolgozása során néha szükség van a trepanációs nyílás bemenetének további szélesítésére, hogy az egyenes vonalú hozzáférés biztosítása révén megkönnyítsük a gyökércsatornák szondázhatóságát és feltágíthatóságát. Erre a feladatra általában Batt-fúrókat (lekerekített, nem dolgozó véggel rendelkező gyémántbevonatú fúrók) használunk, de specifikus szónikus és ultraszónikus eszközök is alkalmasak erre a célra. Ezeket a pulpakamra tetejének visszamaradt részeinek, valamint az üreg fölé

lógó alátámasztatlan dentin eltávolítására és a gyökércsatornák kezdeti szakaszaihoz való egyenes hozzáférés biztosítása miatt alkalmazzuk. Ezek az eszközök tompa, lekerekített, nem

dolgozó véggel rendelkeznek, amely segít a pulpakamra aljának épségének megőrzésében, a kúpos kialakításuk pedig hozzájárul az alámenősségek megszüntetéséhez.

Több protokoll is rendelkezésünkre áll, amely segít a megfelelő trepanációs nyílás kialakításában. Ezek közül talán a 2004-ben Krasner és Rankow által publikált protokoll a legismerhirdetés

9.
12.

1. táblázat: Az alsó és felső molárisok pulpakamráiban, az anatómiai tájékozódási pontok alapján mért távolságok átlag- és szórásértékei. A = a pulpakamra aljától a furkációig; B = a pulpakamra tetejétől a furkációig; C = a bukkális csücsöktől a furkációig; D = a bukkális csücsöktől a pulpakamra aljáig; E = a bukkális csücsöktől a pulpakamra tetejéig; F = a pulpakamra magassága.

13. ábra: A Deutsch és mtsai. által végzett alsó nagyőrlő fogakról készült mikro-CT-vizsgálatok során elvégzett mérések lokalizációját bemutató ábra. A: A pulpakamra alja és a furkáció között mért távolság, B: A pulpakamra teteje és a furkáció között mért távolság, C: A bukkális csücsökcsúcs és a furkáció között mért távolság, D: A bukkális csücsökcsúcs és a pulpakamra alja között mért távolság; E: A bukkális csücsökcsúcs és a pulpakamra teteje között mért távolság, F: A pulpakamra magassága. – 14. ábra: A hozzáférési nyílás kialakítása során alkalmazott fúró bur (#880-314-012) sematikus ábrája a mikro-CT-felvételre vetítve. (képek: © Prof. Elio Berutti)

15. ábra: Az irreverzibilis pulpitissel diagnosztizált alsó nagyőrlőfogról készült kiindulási felvétel.

tebb [7]. Az ebben felsorolt kilenc szabály klinikai szempontból releváns információkat hordoz és segít a hibák elkerülésében.

1. A centralitás szabálya szerint a fogbélkamra a fog koronájának közepében található a zománc–cement határ (cemento-enamel junction, CEJ) szintjében.

2. A koncentricitás szabálya szerint a fogbélkamra falainak lefutása követi a fog koronájának külső falainak lefutását a CEJ szintjében.

3. A CEJ szabálya szerint a CEJ a legmegbízhatóbb anatómiai képlet, amely segítséget jelent a fogbélkamra lokalizálása során.

4. A szimmetria első szabálya szerint a gyökércsatorna-bemenetek egyenlő távolságra helyezkednek el a fogbélkamra aljának mesiodisztális irányú felezővonalától. (Ez alól a felső nagyőrlőfogak jelentenek kivételt.)

5. A szimmetria második szabálya szerint a gyökércsatorna-bemenetek a fogbélkamra aljának mesiodisztális irányú felezővonalának megfelelően helyezkednek el. (Ez alól a felső nagyőrlőfogak jelentenek kivételt.)

ban. Fejlődéstani szempontból a fogak koronája a pulpaszövet kialakulásának külső kivetülése.

A színváltozás szabálya a kalcifikálódott csatornák lokalizálása során tud segítséget jelenteni. Ha a beavatkozást végző orvos folyamatosan elkülöníti a fogbélkamra világosabb falait a fogbélkamra sötétebb aljától, akkor nagyobb eséllyel fedezi fel a csatornákat, mivel azok valahol a sötétebb területen helyezkednek el. Ezek, a pulpakamrát körülvevő dentin, olyan karakterisztikus tulajdonságai, amelyek minden esetben fennállnak és nagyon jó vezetőként szolgálnak a szklerotizált fogak feltárása során. Én még további három gyakorlati szabály követését javaslom, amelyek figyelembevételével hatékonyabbak lehetünk a trepanációs nyílások kialakítása és a gyökércsatorna-bemenetek lokalizálása során. Ezek segítenek a foganyagelvétel optimalizálásában, amely konzisztens módon hozzásegít a jó eredmények eléréséhez. A három szabály a gyémánt szabály, a transzlucencia és opaleszencia szabálya, és végül a dentintörmelék szabálya.

A gyémánt

szabály

Ez a szabály egy jól meghatározott kialakítású gyémántbevonatú fúró használatát javasolja a fogbélkamra tetejének elvétele során. Az alsó és felső nagyőrlők és a többgyökerű felső kisőrlők esetében kifejezetten ajánlom ennek a szabálynak a követését. Deutsch és mtasi. morfológiai méréseket végeztek a többgyökerű fogak okkluzális felszínének és a fogbélkamra tetejének és aljának egymáshoz való viszonyának tekintetében [8–9]. Ezekben a fogakban a pulpakamra teteje a CEJ szintjében helyezkedik el. A nagyőrlő fogak esetében a pulpakamra teteje és bármely csücsökcsúcs hozzávetőlegesen 6,3 mm távolságra található egymástól. A felső többgyökerű kisőrlők esetében ez a távolság 6,94 mm. Az alsó és felső nagyőrlőfogak pulpakamrájának magassága nagyjából 1,5–2,0 mm, valamint a gyökerek oszlása és a pulpakamra alja között átlagosan 3,0 mm foganyag helyezkedik el (1. táblázat, 13. ábra). Egy, a közelmúltban megjelent publikáció, micro-CT-felvételeken végzett mérések alapján megerősítette a fenti eredményeket [10]. Ez azt jelenti, hogy olyan konstans anatómiai információ áll rendelkezésre a fogorvosok számára, amely sokkal biztonságosabbá és kiszámíthatóbbá teheti a fogak gyökérkezelését.

7. A gyökércsatorna-bemenetek első szabálya szerint a gyökércsatornák bemenete minden esetben a fogbélkamra aljának és oldalfalainak találkozási vonalában találhatóak.

8. A gyökércsatorna-bemenetek második szabálya szerint a gyökércsatornák bemenete a fogbélkamra alja és az oldalfalak által alkotott szögletek vonalában található.

9. A gyökércsatorna-bemenetek harmadik szabálya szerint a gyökércsatornák bemenete a gyökerek közti fúziós vonalak végén helyezkedik el.

A fent felsorolt szabályok közül néhány kimagasló klinikai jelentőséggel bír. Például a koronázott fogak esetében, amikor már a hagyományosan alkalmazott anatómiai referenciapontok nem állnak rendelkezésre, az első három szabály ismerete lehetővé teszi, hogy a fog koronájának külső lefutása alapján meghatározzuk a trepanációs nyílás optimális helyét, és segít a gyökércsatorna-bemenetek lokalizálásá-

6. A színváltozás szabálya szerint a pulpakamra alja minden esetben sötétebb, mint a pulpakamra falai.

16. ábra: A kezelés közben készült felvétel. Az endodonciai csonkfelépítés már befejeződött, a hozzáférési nyílás kialakításra került és a csatornák előzetes feltágítása is megtörtént. A fogbélkamra alján jól megfigyelhető a transzlucensebb optikai tulajdonságokkal rendelkező pulpakő jelenléte. – 17. ábra: A pulpakövet kézi exkavátorral emeltük ki az üregből. 18. ábra: Az eltávolított pulpakő. – 19. ábra: A pulpakamra alja a gyökértömés elkészítését követően. A pulpakő eltávolítása után a fogbélkamra alja sokkal opakabb képet mutat.

Sokszor azt javasolják, hogy a nagyőrlő fogak trepanálásához egy gyémántborítású gömbfúrót használjunk, amellyel a rágófelszín közepének, vagy a röntgenfelvételen legegyértelműbb pozícióban elhelyezkedő pulpaszarvnak megfelelően áttörjük a fogbélkamra felső falát. A fogbélkamra megnyitását követően megkezdjük a trepanációs nyílás tágítását annak érdekében, hogy a gyökércsatorna-bemenetek lokalizálhatóak legyenek. Ennek a megközelítésnek egy alternatívája az olyan trepanációs nyílás kialakítása, amely a fogbél által meghatározott anatómiai referenciapontok alapján történik. Ennek a szemléletnek az alkalmazásával elkerülhetőek a kalcifikációk jelenlétéből származó hibák, a trepanációs nyílások foganként nagyjából konstans megjelenéssel kerülnek kialakításra, amely hozzájárul az ellátás biztonságának növeléséhez. A pulpális anatómiát követve tudatosan végezzük az üreg kialakítását és ne csupán megérzésekre hagyatkozva „kutassunk” a csatornák után. Általában minden fogorvosnak megvan a kedvenc fúrója, amelyet a trepanációs nyílások kialakítása során előszeretettel használ. Berutti és Castellucci javaslatainak megfelelően én egy lekerekített végű henger alakú gyémántfúró használatát javaslom, amely lehetővé teszi a pulpakamra aljának határainak követésével történő geometrikus trepanációs nyílás kialakítását. Ha a pulpakamra aljának határainak kivetítését követve végezzük a fog okkluzális felszínének redukcióját, akkor mind az egy- és a többgyökerű fogak ellátása során is sokkal hatékonyabbak lehetünk a trepanációs nyílások kialakítása során [11].

20. ábra: Posztoperatív röntgenfelvétel.

21. ábra: Kiindulási felvétel. Az elhalt felső nagyőrlőfog rágás során panaszokat okoz a páciens számára. A felvételen jól látható a gyökércsatorna-rendszer beszűkültsége.

nyeinek figyelembevételével lehetővé teszi a pulpakamra aljának épségének megőrzését, ha a dolgozó rész legkoronálisabb pontját nem viszem a rágófelszín síkja alá. Ha a rágófelszín síkja alá vinném a dolgozó rész szélét, akkor szignifikáns mértékben megnőne a fog perforációjának vagy túlzott strukturális meggyengítésének az esélye (14. ábra). A gyémántborítású rész határa jelzi azt a vonalat, amely alá nem javasolt menni a felső többgyökerű kisőrlők, valamint az alsó és felső nagyőrlő fogak trepanálása során. Ha a fogbélkamra túlzott kalcifikációja megnehezíti a gyökércsatornabemenetek lokalizálását, akkor mindenkit óva intenék attól, hogy a

ket alkalmazzon, hanem ekkor célszerűbb finomabb eszközöket (szónikus vagy ultrahangos eszközök, acélgömb fúrók) használni. Egyéb szempontok szerint is célszerű lehet a lekerekített véggel rendelkező hengeres testű gyémántfúrókkal végezni a trepanációs nyílás kialakítását. Egy ceruzához hasonlóan meg lehet „rajzolni” vele az üreg határait a fog rágófelszínén, majd ezt követően apikális irányba haladva, de az előre meghatározott kontúrokon belül maradva, ki lehet alakítani a párhuzamos falú üreget. Ezeknek a tulajdonságoknak köszönhetően elkerülhető lehet a fogbélkamra aljának közelében éles határú, alámenős behúzódások ki-

22. ábra: A hozzáférési nyílás kialakítását követően láthatóvá vált a fényes és kalcifikálódott dentinréteg. – 23. ábra: A kalcifikálódott terület vizsgálata során két gyökércsatorna-bemenet pozícióját sikerült lokalizálni. A kalcifikálódott szöveteket el kell távolítani a csatornák további tágítása előtt. – 24. ábra: A kalcifikálódott szövetek eltávolítását 15/.04-es MicroOpenerrel végeztük. A kalcifikáció néhány milliméter mélyen a palatinális csatornába is beterjedt. – 25. ábra: A pulpakamra aljának képe a csatornák feltágítását követően. A pulpakő eltávolítását követően helyreállt a fogbélkamra aljának megszokott opak megjelenése.

Az e célra használt fúróm (#880-314-012, Komet Dental) 6 mm hosszú dolgozó résszel rendelkezik, amely Deutsch és mtsai. mérési eredmé-

felkeresésük során nagy mennyiségű anyagelvételre képes forgó eszközö-

alakítása. Ezáltal sokkal elegánsabb és konzervatívabb üregeket tudunk

létrehozni, amellyel még a felesleges foganyag eltávolítását is megelőzhetjük.

A transzlucencia és opaleszcencia szabálya

A pulpakamrában lévő pulpaköveket és egyéb kalcifikációkat bizonyos esetekben nehéz lehet megkülönböztetni a fogbélkamra aljától. A gyökércsatorna-bemenetek kézi vagy gépi eszközökkel történő szondázásának megkezdése rizikós lehet, ha a fogbélkamrában még kalcifikálódott területek maradtak vissza. Ezek megnehezíthetik a gyökérkezelő tűk bevezetését, nagyobb feszültségeket okozhatnak a tágító eszközökben a gyökércsatornák megmunkálása során és megakadályozhatják a csatornatágítás során keletkező törmelék megfelelő eltávolítását, amely pedig a csatornák eltömeszelődését okozhatja. A fogbélkamra alja a kalcifikálódott területekhez képest másként veri vissza a fényt, amely hasznos segítséget jelenthet a terület feltárását végző fogorvos számára. A pulpakamra alja minden esetben sötétebbnek és opakabbnak tűnik a kalcifikálódott szövetekhez képest. Ezek világosabbak, jobban visszaverik a fényt és áttetszőbbek (15–20. ábrák). Megfelelő nagyítás és megvilágítás alkalmazása esetén ezek a különbségek jól felismerhetővé vál-

Workshop-programok

Nyomtatott restaurálások a rendelőn belül: szkennelés, tervezés, nyomtatás, festés és ragasztás

október 17., 09.00–17.30

Dr. Alejandro Pineda, dr. Nagy Zsolt, Stumpf Lóránt

Részvételi díj: 150 000 Ft (teljes ár: 175 000 Ft) – 6 kreditpont

A biomimetikus posterior hands-on kurzus

október 17., 09.00–17.30

Dr. Forster András, dr. Kálmán Marcell

Részvételi díj: 225 000 Ft (teljes ár: 250 000 Ft) – 6 kreditpont

Fogászati fényképezés kezdéstől magabiztosságig, képszerkesztéssel és közösségi médiával október 18., 09.30–16.30

Dr. Farkas Péter, dr. Zsoldos Márton

Részvételi díj: 160 000 Ft (teljes ár: 199 000 Ft) – 6 kreditpont

Direkt héjak készítése egyszerűen október 17., 09.30–13.00

Dr. Jason Smithson

Részvételi díj: 150 000 Ft (teljes ár: 175 000 Ft) – 5 kreditpont

Haladó, összetett fogszabályozási esetek befejezése – a hagyományostól a digitális megközelítésig

október 17., 09.30–17.30

Dr. Ahmed Adel

Részvételi díj: 150 000 Ft (teljes ár: 175 000 Ft) – 6 kreditpont

A szakértelmen túl – a kiemelkedő teljesítményű fogorvosi csapatok titkos összetevője október 18., 09.30–13.30

Dr. Jelena Grastić

Részvételi díj: 72 000 Ft (teljes ár: 88 000 Ft) – 5 kreditpont

Minimálisan invazív részleges és teljes koronakészítés

október 16., 09.30–17.30

Dr. Gerlóczy Pál

Részvételi díj: 145 000 Ft (teljes ár: 175 000 Ft) – 6 kreditpont

27. ábra: A felső nagyőrlőfogról készített kiindulási röntgen. A felvételen észlelhetőek a gyökércsatorna-rendszer beszűkültségére utaló jelek.

28–29. ábra: A gyökércsatorna-bemeneteknek megfelelően látható fehér pontok a dentintörmelék felgyűlése miatt jelentek meg. A csatornabemenetek utáni kutatást EndoTracer fúrókkal végeztük. – 30. ábra: EndoTracer fúrók (#006, #008, #010). – 31–32. ábra: A kitisztított és feltágított gyökércsatornák.

nak. Véleményem szerint, ezeknek az eszközöknek minden esetben rendelkezésre kellene állniuk, ha valaki endodonciai beavatkozásokat akar végezni.

A fenti finom különbségeket szinte lehetetlen észrevenni, ha a pulpakamrát különböző átöblítő oldatok töltik fel. Ennek megfelelően először a pulpakamra szárítását kell elvégeznünk. Ezután különböző eszközök óvatos alkalmazása mellett (lassú fordulatszámon alkalmazva, levegőhűtéssel, vízspray alkalmazá-

sa nélkül) lehetőségünk van a kalcifikálódott szövetek eltávolítására.

Az erre a célra alkalmas eszközök közül az alábbiakat emelném ki: Hosszú nyakú kerámia gömbfúrók (K1SM, Komet Dental), amelyek lehetővé teszik a foganyag megfelelő vizualizáció mellett történő eltávolítását.

• EndoTracer fúrók (H1SML, méretek: 006, 008 és 010; Komet Dental). Ezek multifunkciós fúrók, amelyek hosszú és keskeny nyaki résszel rendelkeznek és két

különböző méretben érhetőek el (31 mm és 34 mm).

• Kifejezetten erre a célra kifejlesztett szónikus és ultrahangos hegyek, amelyek lehetővé teszik az irányított anyagelvételt.

• Vanádiumból készült exkavátorok a nagy méretű kalcifikációk eltávolítására.

A pulpakövek méretének és elhelyezkedésének függvényében a fentiek közül egy, vagy több eszköz alkalmazását követően jó eséllyel el tudjuk távolítani a kezelést akadályozó elmeszesedett szöveteket. Amikor úgy ítéljük, hogy a fizikai akadály eltávolításra került, érdemes a fogbélkamrát nátrium-hipoklorit oldattal alaposan átöblíteni, majd óvatosan kiszárítani a területet. Ekkor ismét vizuális inspekció alá vonhatjuk a pulpakamra alját, hogy megítéljük az eddig elért eredményeket és pontosan meg tudjuk tervezni a következő lépéseinket. Ezt általában a gyökércsatornabemenetek kézi eszközökkel történő szondázása követi, amely sokkal nagyobb kihívást jelent a komplex, beszűkült bemenetekkel rendelkező eseteknél. Ha a kalcifikáció a gyökércsatornák mélyére is beterjed, akkor még a legkisebb átmérővel

rása során (vízhűtés nélkül, alacsony fordulatszámon alkalmazott forgó eszközökkel, léghűtés mellett), ha a csatornabemenet vélelmezett pozíciója helyes volt, akkor egy kis fehér pont fog megjelenni. Ez a mechanikai megmunkálás során keletkezett dentintörmelék, amely a forgó mozgás hatására jött létre és a gyökércsatorna-bemenet pozíciójában nagyobb mennyiségben felgyűlt. A gyökércsatorna-bemenetek felkutatásához ismét az EndoTracer fúrók alkalmazását javaslom. A hosszú nyakuknak köszönhetően folyamatos vizuális kontroll alatt lehet tartani a feltárni kívánt területet. Ahogy egyre mélyebbre jutunk, javasolt a fúrók átmérőjének és az alkalmazott fordulatszám nagyságának a folyamatos csökkentése. Ezen felül célszerű gyakrabban megállni, megtisztítani a területet és ellenőrizni, hogy még mindig jó irányba haladunk-e. Ezzel a tudatos feltárási technika alkalmazásával viszonylag rövid idő alatt meg tudjuk jeleníteni a bemenetek pozícióját jelző fehér pontokat. Ennek megfelelően, ha az első próbálkozások után még nem látjuk a fehér pontot, akkor célszerű a pulpakamrát nátrium-hipoklorit oldattal átöblíteni, majd kiszárítani és a látottak újraértékelését követően ismét megkezdeni az óvatos feltárást (27–33. ábrák). A lassú és óvatos haladással, valamint a rendszeres megállással és újraértékeléssel nagy valószínűséggel el tudjuk kerülni a hibák kialakulását.

rendelkező eszközök használata esetén is sikertelenek lehetünk a szondázás során. Ezzel szemben ha a kalcifikáció csak a bemeneteket érinti, akkor specifikus eszközökkel (10/.04-es vagy 15/.04-es MicroOpener; Dentsply Sirona) viszonylag könnyen át tudunk jutni rajta. Az eszköz nyele lehetővé teszi, hogy finom, de mégis határozott mozdulatokat hajtsunk végre, és emellett sokkal jobb vizualizációt tesz lehetővé, mintha ugyanezt kézi tűkkel akarnánk elvégezni (21–26 ábrák)

A dentintörmelék szabálya

Ez a szabály akkor hasznos, ha a gyökércsatorna-bemenetek a kezdeti erőfeszítéseink ellenére még nem kerültek feltárásra, vagy ha a sclerotizáció mélyebb területeket is érint. Ez a szabály Kasner és Rankow színváltás szabályán alapul [7]. A gyökércsatorna-rendszer minden esetben a sötétebb dentinállománynyal körülvett területek alatt helyezkedik el, amelyet a világosabb falak vesznek körül. A bemenetek lokalizálása során ezt a színbéli különbséget használjuk ki. A fogbélkamra aljának apikális irányú feltá-

A csatornabemenetek azonosítását követően célszerű azokat egy Micro-Openerrel vagy egy #06-os vagy #08-as átmérőjű kézi tűvel megszondázni. Ilyenkor elég, ha az eszközt csupán néhány milliméter mélyen vezetjük be a csatornába. Az egyik legnagyobb nehézség, amellyel az endodontusoknak nap mint nap meg kell küzdeniük, hogy ellenálljanak annak a kísértésnek, hogy már az első eszközzel a gyökércsúcsig végigszondázzák a teljes csatornahosszat. A gyökércsatornák feltárása során kiemelt figyelmet kell arra fordítani, hogy ne tömeszeljük el idő előtt a csatornát. Ennek elkerülésében nagy segítséget jelent a rendszeres átöblítés, a kézitűkkel való óvatos szondázás, amikor nagy erők alkalmazása nélkül, finoman akarjuk mindig csak egy kicsit lejjebb vezetni a tűket anélkül, hogy egyből a teljes munkahossz elérésére törekednénk. Véleményem szerint az ultrahangos eszközökhöz képest az EndoTracer fúrók alkalmasabbak a szklerotizált bemenetek felkutatására, mivel az ultrahangos fejekkel gyakran apikális irányba mutató éles behúzódásokat tudunk létrehozni, valamint a színbéli különbségeket is részlegesen meg tudjuk szüntetni. Ezzel szemben az EndoTracer fúrók alkalmazása mellett meg tudjuk őrizni ezeket a fontos anatómiai jellegzetességeket és a dentintörmelék is valóban a gyökércsatorna-bemenet pozícióját jelző fiziológiás behúzódásnak megfelelően fog összegyűlni. A kalcifikálódott fogbélkamrával és csatornákkal rendelkező fogak endodonciai ellátása valódi kihívást

33. ábra: Posztoperatív felvétel.
26. ábra: Posztoperatív röntgen.

jelent az endodonciai kezelések során, de a cikkben említett három gyakorlati tapasztalaton alapuló szabály követésével ki tudjuk használni az anatómiai jellegzetességekből fakadó előnyöket, valamint olyan célszerszámokat tudunk alkalmazni a trepanációs nyílás kialakítására és a gyökércsatorna-bemenetek lokalizálására, amelyek sokkal biztonságosabbá és kiszámíthatóbbá teszik az egész folyamatot. Ezáltal csökken az álutak és perforációk kialakulásának valószínűsége. Apróbb változtatásokkal és ha következetesen ugyanazon protokoll szerint végezzük beavatkozásainkat, hosszú távon sokkal sikeresebbek lehetünk. Ez a cikk eredetileg a Dental Tribune France 16. kötetének 2024/5. számában jelent meg.

2001-ben kitüntetéssel és különleges elismeréssel végzett fogászat és fogpótlás szakon az olaszországi Parma Egyetemen, és részt vett a saját területükön legismertebb olasz és nemzetközi szakemberek által vezetett tanfolyamokon. 2016 óta dr. Marco Venezianival együttműködve Észak-Olaszországban praktizál. Dr. Fava kizárólag endodontiával és konzervatív fogászattal foglalkozik. 2018 óta előadásokkal szerepel hazai és nemzetközi kongresszusokon, valamint magánkurzusokat és alapés haladó szintű továbbképzési modulokat tart az Olasz Endodontiai Akadémián, amelynek aktív tagja.

Az irodalomjegyzék megtekintéséhez szkennelje be a QR-kódot!

Antipszichotikus gyógyszerek és szájüregi mellékhatások: új kutatás hívja fel a figyelmet a kockázatokra

Dental Tribune International

Bár a neuropszichiátriai betegségek szisztémás egészségügyi következményei jól ismertek a rossz szájegészséggel való kapcsolatukról. Különösen az antipszichotikus gyógyszerek közvetlen hatásairól a szájüregre, ami eddig viszonylag kevés figyelmet kapott. Ezt a hiányt pótolja a Baszkföldi Egyetem (Bilbao) új kutatása, amely részletes betekintést nyújt az antipszichotikumokhoz kapcsolódó szájüregi mellékhatásokba. Az eredmények szerint ezek a szerek gyakran okoznak nyáltermelési zavarokat, gyulladást és fogvesztést, valamint egyes készítmények jellegzetes szájüregi kórképekkel hozhatók összefüggésbe.

A kutatók az Európai EudraVigilance adatbázist használták, hogy elemezzék az atípusos és a régebbi, tipikus antipszichotikus gyógyszerekkel kapcsolatos, feltételezett szájüregi mellékhatásokat. Összesen 5663 esetet azonosítottak atípusos szerekkel és 787-et tipikus készítményekkel öszszefüggésben. Bár az újabb szerekhez több bejelentés kapcsolódott, a régebbi gyógyszerek bizonyos szájüregi állapotokkal szorosabb összefüggést mutattak.

A leggyakrabban jelentett probléma a nyáltermelés zavara volt. Ideértve a xerostomiát és a hypersalivatiót is. Az olanzapin és a quetiapin gyakran társult xerostomiával és fogvesztéssel, míg a clozapin erősen összefüggött a fokozott nyáltermeléssel. Ez 1619 bejelentést tett ki, ami a legmagasabb szám egyetlen gyógyszer esetében. A clozapin kivételével minden antipszichotikum kapcsolatba hozható volt orofaciális diszkinéziával. Az aripiprazol pedig a legerősebben társult ezzel a tünettel, valamint serdülőknél nyelv-

ödémával. Egyéb mellékhatások között szerepelt a fogszuvasodás, a nyálmirigy-gyulladás és a fogvesztés. Nem figyeltek meg nemi alapú különbségeket a mellékhatások előfordulásában.

A vizsgálat eredményei egyértelműen jeleznek összefüggést az antipszichotikus gyógyszerek használata és a szájüregi betegségek között, ugyanakkor dr. Nerea Jauregizar, a Baszkföldi Egyetem Farmakológiai Tanszékének társszerzője hangsúlyozta, hogy ok-okozati kapcsolat nem igazolható. Ennek oka, hogy a pszichiátriai betegek gyakran többféle gyógyszert szednek – köztük antidepresszánsokat, altatókat és más szisztémás betegségekre szolgáló szereket. A rossz szájhigiéné, a szerhasználat és a korlátozott fogászati ellátáshoz való hozzáférés szintén gyakoribb ebben a betegcsoportban, tovább növelve a kockázatot.

A kutatók szerint az eredmények fényében kulcsfontosságú a szájüregi egészség integrálása az antipszichotikum-terápiában részesülő betegek gondozásába. Rendszeres szájüregi szűrések, célzott támogatás és a nyálfunkció folyamatos ellenőrzése jelentősen javíthatja az életminőséget – különösen a skizofréniában szenvedőknél, akik gyakran szembesülnek megbélyegzéssel és ellátási akadályokkal. A megelőzésnek a megfelelő szájhigiénés szokások kialakítására, az életmódbeli tényezők javítására és a pszichiáterek, valamint fogorvosok közötti szoros együttműködésre kell épülnie, hogy a szájüregi szövődmények korán felismerhetők és kezelhetők legyenek.

Az „Oral adverse effects of antipsychotic medications: A case/noncase analysis of EudraVigilance data” című tanulmány 2025. április 21-én jelent meg online az Oral Diseases folyóiratban. DT

VÉGTELEN LEHETŐSÉGEK SZÍN A FÉNYBŐL

Smart Chromatic Technology –A fehér 1000 árnyalata

Strukturális szín mesterséges színpigmentek nélkül: fokozatmentesen illeszkedik minden fogszínhez A1-től D4-ig

BisGMA-mentes összetétel: a jobb biokompatibilitás érdekében

Egyszerű készletezés: csupán 1 szín elegendő a gazdasági fenntarthatósághoz

Egyértelműen felismerhető a SEM-felvételen: az OMNICHROMA gyöngyszerkezete a hagyományos módon zúzott részecskékhez képest.

tokuyama-dental.eu

Samples & More

Hajból nyert keratin fogkrém: forradalmi természetes zománcjavító

Dental Tribune International

A King’s College London úttörő tanulmánya kimutatta, hogy a keratin – amely emberi hajból vagy gyapjúból nyerhető – kristályos vázszerkezetet képezhet a fogzománcon, amely védelmet és regeneráló hatást is biztosít. Ez az innováció utat nyithat egy olyan fenntartható fogkrém vagy fogászati gél kifejlesztése előtt, amely a jelenlegi kezeléseknél hatékonyabban képes helyrehozni a zománc korai károsodásait.

A váratlan fogászati elixír a keratin. A tanulmány megállapította, hogy a keratin sűrű ásványi bevonatot képez, amely szorosan utánozza a természetes zománcot, amikor a fog felületére kerül és a nyál ásványi anyagaival kombinálódik. A fluoridtartalmú fogkrémekkel ellentétben, amelyek csak lassíthatják a zománc erózióját és elvesztését, a keratin

A tanulmányban használt keratin fenntartható módon nyerhető – például gyapjúból vagy emberi hajhulladékból –, így környezetbarát alternatívát kínál a fogpótlásban gyakran alkalmazott szintetikus vagy mérgező anyagok helyett. A hajvágások vagy hasonló biológiai hulladékok biomateriálként való újrahasznosítása összhangban áll a körforgásos, fenntartható egészségügyi innovációk növekvő trendjeivel.

A kutatók arról számoltak be, hogy a keratin hamarosan bekerülhet a mindennapi fogkrémek ös zszetételébe, vagy professzionális kezelésre szánt gél formájában a fogzománc célzott helyreállítására. A kereskedelmi forgalomba hozatalra alkalmas termékek várhatóan két-három éven belül megjelenhetnek, miután lezárultak a készítmény összetételére, ízére, biztonságosságára és adagolására vonatkozó vizsgálatok, valamint a klinikai kísérletek.

A hajból készült fogkrém tudományos háttere

1. A keratin fehérje a hajból vagy a gyapjúból nyerhető ki.

3. Az ásványi anyagok és a keratin kombinációja

2. A keratin keveredik a nyállal, ahol ásványi anyagokat vonz magához.

A gyapjú és a hajvágásból származó hulladékok fogászati helyreállító biológiai anyagként való újrahasznosítása összhangban áll az orvostudomány területén a fenntarthatóság és a körforgásos innováció irányába mutató szélesebb körű tendenciákkal. (Képek:

Nyomtatott magazinok

5. A fogzománcot utánozó anyagot fogkrémmel vagy géllel viszik fel a fogakra.

4. Egy rendkívül szervezett, zománcot utánzó kristályszerkezet alakul ki.

A gyapjúból és hajból nyert keratin fogkrémbe vagy gélbe keverhető zománcszerű anyaggá történő átalakításának folyamata.

képes mind szerkezeti javulást, mind tüneti enyhülést biztosítani azáltal, hogy lezárja a zománcvesztés során kitett dentin tubulusokat.

A tanulmány laboratóriumi kísérleteiben a keratinkezelés zománcszerű vázszerkezetet alkotott, amely továbbra is vonzotta a nyálból származó kalcium- és foszfátionokat, lehetővé téve a zománcszerű bevonat fokozatos növekedését az idő múlásával. Valójában a keratinbevonat felülmúlta a korai fogszuvasodás kezelésében használt hagyományos gyantát, ötször-hatszor keményebb réteget alkotva. Az egyetem sajtóközleményében a tanulmány első szerzője, dr. Sara Gamea, a King’s College London posztdoktori kutatója így magyarázta: „A keratin átalakító alternatívát kínál a jelenlegi fogászati kezelésekhez képest. Nemcsak fenntartható módon nyerik biológiai hulladékanyagokból, például hajból és bőrből, hanem kiküszöböli a hagyományos műanyag gyanták szükségességét is, amelyeket általában a fogpótlásban használnak, és amelyek mérgezőek és kevésbé tartósak. A keratin emellett sokkal természetesebbnek tűnik, mint ezek a kezelések, mivel jobban illeszkedik az eredeti fog színéhez.”

Az ilyen új technológiák közegészségügyi területen rejlő hatalmas potenciáljáról a King’s College London protetikai klinikai előadója, dr. Sherif Elsharkawy így nyilatkozott: „Izgalmas korszakba lépünk, amelyben a biotechnológia lehetővé teszi számunkra, hogy ne csak a tüneteket kezeljük, hanem a test saját anyagaival helyreállítsuk a biológiai funkciókat. További fejlesztésekkel és a megfelelő ipari partnerségek kel hamarosan olyan egyszerű do logból, mint egy hajvágás, erősebb, egészségesebb mosolyt varázsolha tunk elő.”

Bár a tanulmányban nem részt vevő szakértők arra figyelmeztet tek, hogy a technológia még korai stádiumban van és klinikai validációra szorul, az olcsó, bőségesen rendelkezésre álló és biológiailag lebontható biomateriál, amely természetes módon helyreállítja a fogzománcot, átalakító változást hozhat a megelőző és helyreállító fogászatban.

A „Biomimetic mineralization of keratin scaffolds for enamel regeneration” című tanulmány 2025. augusztus 12-én jelent meg online az Advanced Healthcare Materials folyóiratban. DT

hirdetés
Kings College London)

Alfa-gal szindróma: a kullancsok által terjesztett

Az alfa-gal szindróma egy késleltetett allergiás reakció, amely egy bizonyos szénhidrát-molekulára jelentkezik, amely emlősök húsában és bizonyos gyógyászati termékekben található, és amelynek fontos, de még nem kellőképpen felismert következményei vannak a fogászatra nézve. Egy nemrégiben készült irodalmi áttekintésben és esettanulmányban amerikai kutatók vizsgálták az alfa-gal szindróma fogászati termékekkel kapcsolatos reakcióinak lehetőségét, és több olyan anyagot és összetevőt azonosítottak, amelyek kockázatot jelenthetnek az érintett betegek számára. Eredményeik rávilágítanak arra, hogy sürgősen szükség van a tudatosságra, a gondos termékválasztásra és az orvosi szakemberekkel való együttműködésre

John K. Brooks professzor nemrégiben fontos áttekintést publikált az alfa-gal szindrómáról. (Kép: Marylandi Egyetem)

a fogászati környezetben előforduló súlyos allergiás események megelőzése érdekében.

Az amerikai Betegségmegelőzési és

Járványvédelmi Központ (CDC) szerint 2010 és 2022 között több mint 110 000 feltételezett alfa-gal szindróma esetet azonosítottak az Egyesült Államokban, ebből több mint 90 000 csak 2017 és 2022 között – ami az esetek számának jelentős

növekedését jelzi az elmúlt években. A CDC jelentése szerint az alfa-gal szindrómában szenvedő betegek legalább 90%-a reagál a vörös húsra, és közel 52%-uknál anafilaxia alakul ki. Mivel a tünetek gyakran 3–8 órával az expozíció után jelentkeznek, a kiváltó ok azonosítása nehézségekbe ütközhet.

Bár a legtöbb eset a délkeleti és dél-közép-amerikai államokban gyakori magányos csillag kullancs csípésével kapcsolatos, a betegeket országszerte diagnosztizálták, és más országokból is érkeznek jelentések. A betegség minden korosztályt érint, a diagnózis átlagos életkora 48 év.

A tanulmány vezető szerzője, dr. John K. Brooks, a Baltimore-i Maryland Egyetem Fogorvostudományi Karának Onkológiai és Diagnosztikai Tudományok Tanszékének klinikai professzora a Dental Tribune

Egy nemrégiben készült irodalmi áttekintés és esettanulmány kimutatta, hogy a közönséges fogászati termékek életveszélyes reakciókat válthatnak ki az alfa-gal szindrómában szenvedő betegeknél, amely leggyakrabban a lone star kullancshoz kapcsolódik. (Kép: ondreicka/Adobe Stock)

Internationalnek elmondta, hogy az alfa-gal szindróma iránti érdeklődése 2022-ben kezdődött, és azt a fogászati szakirodalomban található információk szűkössége váltotta ki: „A fogászati klinikánkon vizsgáltam egy beteget, aki alfa-gal szindrómáról számolt be. Részletesen leírta a mellékhatások történetét, különös tekintettel egy fogászati fertőzés miatt szedett antibiotikummal kapcsolatos esetre. Elmondta, hogy az antibiotikum szarvasmarha-alapú zselatinkapszulában volt, ami potenciálisan súlyos allergiás reakciót váltott ki. Ez arra késztetett, hogy orvosi szakirodalmat keressek, hogy többet megtudjak erről az állapotról, és megbizonyosodjak arról, hogy más betegek is hasonló tapasztalatokkal rendelkeznek-e.” Irodalmi áttekintéséből és esettanulmányából származó néhány megállapítását megosztva megjegyezte: „Megtudtam, hogy a magányos csillag kullancs nyálában komplex szénhidrát található. Amikor ez a kullancs megcsíp, ez az anyag felkészíti az immunrendszert az újraexpozícióra. Ha azután olyan ételekkel (főleg vörös húsokkal és tejtermékekkel), gyógyszerekkel és egyéb orvosi vagy fogászati termékekkel kerülnek kapcsolatba, amelyek a kullancs nyálában találhatóhoz hasonló kémiai vegyületeket tartalmaznak, az egyének akut túlérzékenységi reakciót mutathatnak, beleértve légzési nehézséget, bőrkiütést és viszketést, valamint aggasztó módon anafilaxiát is.”

A tanulmány részeként Brooks professzor és csapata számos fogászati terméket elemzett, átnézte az öszszetevők listáját, áttekintette a biztonsági adatlapokat és felkereste a kiskereskedelmi gyógyszertárakat, hogy ellenőrizze a készítmények összetételét. „Számos fogászati termék tartalmazhat olyan vegyületeket, amelyek elősegíthetik az alfa-gal reakciót, például vérzéscsillapító oldatok, varróanyagok, fogkrémek, mesterséges nyálpótlók, fluorid gélek, lágy szöveti és csontátültető anyagok, fogprophylaxis paszták és szájvizek” – mondta. „A fent említett termékek közül sok tartalmaz zselatint, kollagént, glicerint és más vegyületeket, amelyek

ismételt expozíció esetén reakciót válthatnak ki.”

A csapat öt dokumentált esetet azonosított, amelyekben fogászati beavatkozásokhoz kapcsolódó alfa-gal reakciók léptek fel – négy esetben vérzéscsillapító szerekkel, egy esetben pedig zselatinkapszulával kapcsolatban. Minden esetben sürgősségi orvosi beavatkozásra volt szükség.

„Számos

fogászati termék tartalmazhat olyan vegyületeket, amelyek elősegíthetik az alfa-gal reakciót"

A megállapítások fényében Brooks professzor hangsúlyozta, hogy a tudatosság és a megelőző intézkedések elengedhetetlenek. Mivel az esetek száma folyamatosan növekszik, a fogászati szakembereknek fontos szerepük van a veszélyeztetett betegek azonosításában és az életveszélyes allergiás reakciók megelőzésében a fogászati székben. „A szájápolási szakembereknek ismerniük kell az alfa-gal szindrómát, és gondosan át kell vizsgálniuk a fogászati termékek összetevőit, mielőtt azokat az érintett betegeken alkalmazzák. Ha egy beteg említette, hogy ilyen állapotban szenved, a kezelőorvosnak konzultálnia kell a beteg allergológusával vagy belgyógyászával, hogy tájékozódjon a releváns kiváltó kémiai anyagokról, és érdeklődjön a már alkalmazott kezelési stratégiákról. Ezenkívül a kezelőorvosnak fel kell készülnie a súlyos allergiás reakcióval járó sürgősségi esetek kezelésére.” A szakirodalom áttekintése és esettanulmány, melynek címe „Alpha-gal syndrome: Potential for a hypersensitivity reaction after the use of dental products”, online formában jelent meg az American Dental Association folyóirat 2025. júliusi számában. DT

Tanácsok fiatal fogorvosoknak

A rendelőmbe betérő fiatalabb kollégák gyakran kérnek tőlem tanácsot, hogyan kezdjék sikeresen fogorvosi karrierjüket. 10 tippre kerekítettem fel a számukat, amelyeket a mai napig alkalmazok:

Kommunikáció – A beteggel folytatott világos, kellemes és irányított kommunikáció bizalmat épít és elősegíti a kezelést. A betegek számára nyújtott legnagyobb érték nem csupán a technika vagy a technológia, hanem a velük való kommunikáció módja is. Legyen türelme elmagyarázni az egyes kezelések eljárásait, előnyeit és kockázatait. Minél jobb a kommunikáció a betegekkel, annál jobb kapcsolatot alakít ki velük, és kevesebb stresszt tapasztal. Mondja el nekik, hogy miért, ne pedig hogyan. Tegyen jó első benyomást – Attól a pillanattól kezdve, hogy egy beteg belép a rendelőjébe, fontos, hogy pozitív benyomást keltsen. Az első benyomás teremti meg az alapot a kiépített kapcsolathoz. Győződjön meg arról, hogy a helyiség tiszta, rendezett és kellemes. És ami a legfontosabb, legyen mosolygós és kedves.

Gondosan válassza ki a betegeket – Néha lesznek olyan betegek, akik nem tudják elfogadni a kezelési filozófiáját. Ne féljen nemet mondani, ha valaki más terápiára kényszeríti, mint amit javasolt. Nem minden beteg ideális az Ön számára, és Ön sem az minden beteg számára – és ez rendben is van.

Ne hagyja abba a tanulást – A fogászat gyorsan változik, és a folyamatos képzés elengedhetetlen. Törekedjen arra, hogy folyamatosan fejlessze tudását és készségeit. Ne szégyellje, hogy mennyibe kerül valami – Sok fiatal fogorvos kényelmetlenül érzi magát, amikor a szolgáltatásaiért felszámított díjról van szó, de ne hagyja, hogy ez eltántorítsa. Az Ön által meghatározott ár tükrözi munkája és szakértelme értékét.

Finomítsa a technikát, a munkafolyamatot, és nézze a teljes képet – A technika fontos, de még fontosabb a hatékony és pontos munkafolyamat. Hozzon létre egy olyan rutint, amely lehetővé teszi, hogy időt szánjon, és minden kezelést gondosan végezzen el. A jobb eredmények gyakran lassabban és körültekintőbben jönnek létre. Ne csak egy fogat vizsgáljon, hanem az egész orofacialis régiót. A holisztikus megközelítés jobb kezeléstervezést és hosszú távú eredményeket tesz lehetővé.

Vezessen részletes betegnyilvántartásokat – A betegekről, kezeléseikről és beutalásaikról szóló pontos adatok segítenek abban, hogy következetes, minőségi ellátást nyújtson.

Építsen szakmai kapcsolatokat – A rendelőben a csapatdinamika gyakran nehéz, de kulcsfontosságú a

sikerhez. Támogassa a kollégákat, beszélje meg az eseteket, tanuljon és fejlődjön együtt. Egy jó csapat segít a hatékonyabb munkavégzésben, és a lehető legjobb ellátást nyújtja a betegeknek. Állítson fel reális elvárásokat – Az őszinteség a betegelégedettség kulcsa.

Élvezd a munkádat – Végül is a fogászat művészet. Légy büszke

arra, hogy segíthetsz a betegeknek, jobbá és egészségesebbé teheted

az életüket. Élvezd munkád gyümölcsét – minden kontrollban, mindabban, amit megtanultál és alkalmaztál. Dolgozz szenvedéllyel, és ez tükröződni fog a munkád minőségében.

Milyen tanácsot adnál hozzá? Ui.: Légy önmagad. Mindig! DT

NORRIS DR. DANIELA GARBO
DR. OMAR HAMID
DR. MINAS LEVENTIS
PROF. GANG SHEN
DR. ALEJANDRO PINEDA
DR. GHASSAN YARED
DR. JUAN CARLOS ORTIZ HUGUES
DR. MICHEL ROGÉ
PROF. LOUIS HARDAN
DR. KIA KARIMI
PROF. SIMONE GRANDINI

A

Dental Tribune International

Egy kísérleti tanulmány értékelte egy új, többrétegű fúrólemez realitását és oktatási értékét, amelyet

a fogszövet tapintási és szerkezeti tulajdonságainak reprodukálására terveztek. A lemezt a globális VR-Haptic Thinkers konzorcium tagjai, egy multidiszciplináris cso-

port értékelte, amely a digitális technológiák segítségével a fogászati oktatás átalakításán dolgozik. A kutatók szerint a fúrólemez javíthatja a preklinikai képzést, de

tapintási tulajdonságait tekintve vannak korlátai.

A tanulmány társszerzője, dr. Szabolcs Felszeghy, a Kuopióban található Kelet-finnországi Egyetem

hirdetés

Egy friss tanulmány szerint egy új, többrétegű fúrólemez, amely a fogszövet tapintási és szerkezeti jellemzőit hivatott utánozni, javíthatja a preklinikai fogászati képzés realizmusát és oktatási értékét. (Kép: © 2025 Chau et al., CC BY 4.0 licenc alapján)

Fogorvostudományi Intézetének klinikai oktatója kifejtette, hogy bár a preklinikai képzési eszközöket széles körben használják a fogorvosi egyetemeken világszerte, továbbra is hiányoznak azok a szisztematikus, összehasonlító kutatások, amelyek értékelik ezek realitását, költséghatékonyságát, tartósságát és oktatási értékét. A meglévő preklinikai képzési eszközök, beleértve a virtuális valóság haptikus szimulátorokat, gyakran nem képesek reprodukálni a zománc, a dentin és a pulpa tapintási különbségeit, ami korlátozza a hallgatók alapvető finommotorikus készségeinek fejlődését.

A preklinikai fogászati képzés fejlesztése érdekében kifejlesztett, többrétegű fúrólemez három különálló réteget tartalmaz, hogy jobban utánozza a fogszövetet. „A cél az, hogy a hallgatóknak olyan modellt biztosítsunk, amely közelebb áll a klinikai valósághoz” – mondta dr. Felszeghy egy sajtóközleményben. „A szimulációs technológiák egyre elterjedtebbek a fogászati oktatásban, azonban a hagyományos fogászati modellek továbbra is szükségesek és érdemes őket fejleszteni” – tette hozzá.

A lemezt 70 fogászati oktató értékelte 14 intézményből négy kontinensen, a szövetrétegek fúrási minőségét, a szövetrétegek keménységbeli különbségeit, a preparált felületek simaságát és a fúrási minták láthatóságát tekintve. Megállapították, hogy a lemez ígéretes eszköz a preklinikai készségek fejlesztéséhez, különösen a kézidarab használatában még kezdő hallgatók számára, mivel ergonómikus láthatóságot, felületi simaságot és intuitív használatot kínál. További kutatásokra van azonban szükség a dentinréteg tapintható valósághűségének javítása és a fúrólemez hozzáadott értékének meghatározása érdekében a hagyományos képzési eszközökhöz képest. Az eredményeket augusztus 21-én mutatták be az Európai Fogorvosi Oktatási Szövetség 50. éves találkozóján, amelyet Írországban, Dublinban rendeztek. A rendezvény során a VR-Haptic Thinkers konzorcium egy ülésszakot szervezett, amelyen a virtuális valóság, a haptika és a preklinikai képzés metszéspontjában álló innovációkat mutatták be. Az „Optimizing preclinical skill assessment for handpiece-naïve students: A strategic approach” című tanulmány 2025. augusztus 11-én jelent meg online a Dentistry Journal folyóiratban. DT

A jelentés részletesen bemutatja a fémgombok ragasztómentes rögzítését az alignerekhez

Dental Tribune International

A hagyományos módszerek, amelyekkel kiegészítő rögzítőgombokat rögzítenek átlátszó sínes fogszabályozás során, csökkenthetik azok jelentős klinikai előnyeit a gumihúzások alkalmazásában, különösen akkor, amikor erősebb vagy összetettebb erőhatások szükségesek. Hátrányaik közé tartozik a gombok időnkénti leválása, a megnövekedett kezelési idő, valamint a sínek áttetszőségének romlása, amikor a ragasztógyanta szélei láthatóvá válnak. Egy nemrégiben közzétett technikai beszámoló egy új, hőbeágyazási eljárást mutat be, amely ezen korlátokat hivatott kiküszöbölni.

A közlemény szerzője dr. Viet Anh Nguyen, a hanoi Phenikaa Egyetem Fogorvostudományi Karának kutatója. Az ismertetett klinikai protokoll a hő hatását és a mechanikai rögzítést ötvözi: a gombokat közvetlenül az alignerekbe ágyazza, ahelyett hogy a szokásos módon a fogfelszínre ragasztaná azokat. A rozsda-

mentes acél gombokon keresztül bevezetett hő a sín polimeranyagában helyi meglágyulást idéz elő, amely lehetővé teszi, hogy a gomb pereme részlegesen belesüllyedjen a polimerbe. A lehűlést követően a polimer újra megszilárdul, mechanikusan körbezárva a gombot, ezáltal ragasztó nélküli kötést hozva létre.

Dr. Nguyen beszámolója szerint a klinikai tapasztalatok igazolták, hogy a mechanikai rögzítés normál erőhatások mellett sem vezet leváláshoz, ami azt jelzi, hogy a szükséges kötési szilárdság elérhető. A módszer elsődleges indikációi közé tartoznak azok az esetek, ahol azonnali gumihúzás szükséges – például III. osztályú harapási rendellenesség kezelése, vagy retinált szemfogak előcsalogatása. Továbbá alkalmazható alternatívaként is, amikor precíziós bemetszések nem állnak rendelkezésre. Alacsony hőállóságú

BIO-GEN

A fémgombok ragasztómentes rögzítésére szolgáló új technika elősegíti az aligner-kezelés klinikai hatékonyságát és esztétikai előnyeit. (Kép: StudioLaMagica/Adobe Stock)

anyagokkal azonban nem javasolt használni.

A beszámoló arra a következtetésre jut, hogy bár a technika érvényesítéséhez további vizsgálatok szükségesek, mechanikai hatékonysága már igazolt. Dr. Nguyen a Dental Tribune Internationalnek így nyilatkozott: „A mindennapi fogszabályozás során a rögzítés megbízhatónak

bizonyult az alignerek szokásos viselési időtartama alatt. Mivel a legtöbb sínt egy-két hetente cserélik, a rögzítésnek csak rövid időtartamot kell kibírnia. Még azokban az esetekben is, amikor egyetlen gombnak több héten keresztül ugyanazon a sínen kell maradnia –például retenciós készülékeknél –, jó tapasztalataink vannak a módszerrel.”

A szerző hozzátette, hogy az eljárás a klinikai hatékonyságot és az aligner-terápia esztétikai előnyeit is növeli. „Klinikai szempontból a ragasztó nélküli rögzítés egyszerűsíti a kezelést: nincs szükség primerre vagy fényre kötésre, így a folyamat gyorsabb. Emellett költséget is csökkent, mivel az orvosoknak nem kell ragasztóanyagokat és primereket készleten tartaniuk. Rövid képzést követően a beavatkozást egy képzett fogászati asszisztens is elvégezheti megfelelő felügyelet mellett – a helyi szabályozásoknak megfelelően –, ami egységesíti a munkafolyamatot és felszabadítja a fogorvos idejét.”

A közlemény „Adhesiveless bonding of metal buttons to clear aligners: A technical report” címmel 2025. július 28-án jelent meg online a Cureus Journal of Medical Science folyóiratban. DT

A Bio-Gen® az elsők között volt a csontpótló anyagok között, amelyek szakítottak a hőkezeléssel előállított heterológ bioanyagok hagyományos modelljével.

Az ellenőrzött hőmérsékleten enzimatikus eljárással nyert Bio-Gen® teljesen változatlan formában tartja az ásványi komponenst, megőrzi a csontkollagént (I-es típusú kollagén) hidrolizált formában. Ez utóbbi, konformációjának köszönhetően, elősegíti a csontregenerációs folyamatot.

A Bio-Gen ® kiszerelései

GRANULÁTUM • GRANULÁTUM FECSKENDŐBEN • PUTTY

információk a Bio-Gen ® -ről

Turn static files into dynamic content formats.

Create a flipbook
Issuu converts static files into: digital portfolios, online yearbooks, online catalogs, digital photo albums and more. Sign up and create your flipbook.