E-journal fogtechnika 2025-1

Page 1


E-JOURNAL FOGTECHNIKA

FOGÁSZAT

Akire már ilyen fiatalon is fel lehet nézni

Kiegészített valóság a képzésben

Hatékonyság és esztétika préskerámiával

Hídmegosztások finommechanikai összekötő elemekkel

A VILÁG PIACVEZETO˝ SZÖGKORREKCIÓS CADCAM MEGOLDÁSA MINDEN IMPLANTÁTUM RENDSZERHEZ

KIZÁRÓLAGOS MAGYARORSZÁGI FORGALMAZÓ

Tisztelt Olvasó!

A fogászati szektor az idei esztendőben – reményeink szerint – már fel fogja dolgozni a Covid-19 okozta súlyos problémákat, az ukrán háború miatt kialakult nehézségeket, a korábbi években elszabaduló inflációt, és már tervezi a fejlődés aktuális lehetőségeit. Mindannyian abban bízunk, hogy megérkeznek az európai uniós források, újra indulnak a pályázatok, és stabilan tudjuk vezetni a vállalkozásainkat!

A tavalyi év sokunk életében hozott különböző gondokat, de mégis elmondhatjuk, hogy jobb volt, mind a 2020-2022 közötti időszak, amikor a létbizonytalanság, a járványtól való félelem uralta a napjainkat. Az idegenforgalom tavaly szépen megindult, 2024-ben a vendégéjszakák száma elérte a 2019-es adatokat. A nagy rendelők már teljes kapacitással üzemelnek, a fogtechnikai laborokban is visszatért a folyamatosság, a fogászati kereskedők jelentős része pedig jobb évet zárt 2024-ben, mint a korábbi esztendőkben.

A fogászati rendelők és fogtechnikai laborok elsősorban a fejlesztéseket állították előtérbe, amelyhez számos pályázat és egyéb forrás is kedvező konstrukciókat kínált. 2025-ben – tudomásunk szerint – lesznek új pályázati források, ezekről a kereskedelmi vállalatok részletesebb információkat tudnak majd adni. Az új források bevezetése idén remélhetőleg ismét növekedési spirálba helyezi majd ezt a szektort!

Az infláció elérte a fogászati ágazatot is, a vállalkozások az euró változásától, gyengülésétől függően azzal találkoznak, hogy az árak – a mindennapi élet mellett – itt is jelentősen és folyamatosan változnak, emelkednek. Így a fogászati rendelők is kénytelenek az áraikat emelni, egyre több rendelő, ún. „piaci alapú” árképzést vezet be. A folyamat kimenetelét még nem lehet pontosan látni, a munkaerő fluktuációja, az Európai Unió áraihoz képest alacsony magyar fogászati beavatkozások értéke - jelenleg még nem érte el a drágulás csúcspontját. Az elmúlt időszakban számos újság, cikk foglalkozott a fogászati szektorban található extra drágulási folyamattal. Ez egyelőre – a hazai rendelőkben – még nem mutatott jelentős problémát, új hívószavakkal, sok marketing munkával, reklámmal most a magyar lakosságot kell határozottabban a rendelőkbe invitálni!

A kiadó bizakodva tekint a jövőbe, a megújult tartalmaink kapcsán sok pozitív visszajelzést kapunk,

melyeket nagyon köszönünk! Az elmúlt években – a nehézségek ellenére is – növelni tudtuk a kiadványaink és a magazinjaink számát, nem csökkentve azok tartalmi minőségét. 2020 óta a tematikus e-Journalok is folyamatosan megjelennek, melyek egyfajta online könyvtárként is szolgálnak az Olvasóinknak. A dental.hu oldalon díjmentesen elérhetőek a korábbi tematikus online lapszámaink is.

A mostani kiadványunkban az általános fogorvosi eljárások mellett kiemeltebben a fogtechnika témakörével foglalkozunk.

Tartalmas olvasást kívánok!

Laczkó Tamás, felelős kiadó

DR. JASON SMITHSON

DR. ALEKSANDER BUDOVSKY

IGNAZIO LOI

DR.
DR. ROBERT ‘TITO’ NORRIS
DR. DANIELA GARBO
DR. OMAR HAMID
DR. STEVEN OLMOS
DR. MINAS LEVENTIS
PROF. GANG SHEN
DR. ALEJANDRO PINEDA
DR. GHASSAN YARED
DR. JUAN CARLOS ORTIZ HUGUES
DR. MICHEL ROGÉ
PROF. LOUIS HARDAN
DR. KIA KARIMI
PROF. SIMONE GRANDINI

2025. SZEPTEMBER 30-IG 10%

25 Fogtechnikus Tanulónap 2025. október 16., csütörtök

10.00–10.15 Pósáné Szűcs Erika, Róth Lajos: Megnyitó

10.15–10.45 Pósáné Szűcs Erika: Oktatási információk, MI az oktatásban

Milyen változás történt a Képzési és Kimeneti Követelményekben ebben az évben? Milyen kihívások várhatók az AI robbanásszerű terjedésével? Milyen kérdéseket kell megválaszolnunk az elkövetkezendő években? Milyen hatása van a szakképzésre a mesterséges intelligenciának? Milyen lépések történtek ezen a területen Magyarországon?

10.45–11.45 Rigó Balázs: 3Shape fogtechnikai szoftver ismertetése

Technológiai feladatok a fogpótlások digitális készítésekor, a lenyomat értékelésétől a vázak végleges megtervezéséig. A tervezés digitális rögzítése, továbbítása. Az implantátumokon rögzülő fogpótlások tervezésének digitális alapjai.

11.45–12.45 Böröczky Attila: Full kontur cirkon felhasználásával készülő fogpótlások

Különböző esztétikai megoldások alkalmazása. Esetbemutatás: E.max press héj készítése digitális tervezéssel.

12.45–13.45 Ebédszünet

13.45–14.45 Hanser Zsolt: Fogsorkészítés alapjai, ahogy én csinálom

Egy harmonikus és rágó stabil kivehető fogpótlás készítése az alapoktól a kész fogsorig. Mosolytervezés, egyéni kanál/ regisztrációs sablon, modellanalízis, próbafogsor és a rágómozgás alapján a fogak becsiszolása.

14.45–15.45 Schulze László: Trendek a fogtechnikában

Milyen technológiákkal működtek a 90-es évek előtt laboratóriumok Magyarországon? Milyen technológiai változások jöttek a rendszerváltás után. Hogy változnak a trendek Magyarországon és a világban? Mi látható, vagy sejthető a jövőre nézve?

15.45–16.00 A részvételi igazoló lapok aláírása

Földvári Imre Fogtechnika Kongresszus 2025. október 17., péntek

09.20–09.30 Róth Lajos: Megnyitó

09.30–09.45 Dr. Sárossi Benedek (Magyarország): Trilor üvegszálas kompozit FRC fémmentes fogtechnikai eljárás használata a modern labor eljárások között

09.45–10.30 Előadó felkérés alatt

13.45–14.45 Dr. Nicola Ionut Alin (Románia): Hogyan tudjuk validálni a méretstabilitást és az átlátszó fogszabályozó készülékek nyomtatásának legjobb módját?

A 3D nyomtatás manapság a modern digitális fogászat alapvető részévé vált. A kiszámítható pontosság és hatékonyság iránti igény fontosabb, mint valaha - különösen, ha modelleket nyomtatunk aligner fogszabályozókhoz, koronákhoz és hidakhoz, sebészeti sablonokhoz vagy diagnosztikai célokra. Ez az előadás feltárja, hogyan lehet a különböző típusú fogászati modellek méretstabilitását validálni, átlátva olyan kulcsfontosságú tényezőket, melyek a végső pontosságot is befolyásolják, beleértve a gép beállításait, a gyanta jellemzőit, a modelltervezést és az utófeldolgozási technikákat. A következetes, kiváló minőségű eredmények támogatása érdekében élő bemutatót is tartunk a CHITUBOX Dental használatával, az automatikus pozícionálásra, a beágyazásra és a szeletelés optimalizálására összpontosítva.

10.30–12.00 Mitsutaka Fukushima (Japán): Az egyszerűségtől a tökéletesség felé: hogyan hozhat létre monolitikus mesterműveket az Aidite® BIOMIC® rendszerével

12.00–13.00 Ebédszünet

13.00–13.45 Váradi András (Magyarország): HARMÓNIA – Együttműködés a paciens, fogorvos, fogtechnikus között, tapasztalatok a rendelő, paciens, fogtechnikus „bermuda“ háromszögből Konzultáció: eset elemzés, kommunikáció rendelő és fogtechnika között. Mosoly tervezés: mock-up infók elemzése. Megvalósítás: anyagválasztás lehetőségei. Előnyök, hátrányok, nehézségek. Átadás: finomhangolás szoros együttműködéssel

A kurzuson olyan gyakorlati eszközöket és munkafolyamatokat mutatunk be, amelyek csökkentik az emberi hibákat és maximalizálják a nyomtatás sikerét - akár direkt aligner sínek, akár hagyományos fogászati modellek esetében. A képzésen résztvevők értékes ismereteket szerezhetnek arról, hogyan racionalizálhatják a digitális munkafolyamatukat, miközben reprodukálható és klinikailag megbízható eredményeket érnek el.

14.45–15.00 Kávészünet

15.00–15.45

Christoph Zips (Németország): Modern nagy teljesítményű polimerek az implantátumprotézisben –lehetőségek, indikációk és munkafolyamatok: a sikereink fokozása?

A modern digitális munkafolyamatok az implantológiai fogászatban egyre fontosabb szerepet játszanak a mindennapi gyakorlatban. A műtétek tervezésénél és a protézisek laboratóriumi kivitelezésénél különböző lehetőségek közül kell választanunk. A kiszámítható, minőségi restauratív eredmények egyik legfontosabb sikertényezője a protetikai anyagok helyes megválasztása. Inspirálódjon a dokumentált pácienses esetek, a Bredent termékválaszték, a kompozitok és a nagy teljesítményű polimerek tudományos háttere az analóg munkafolyamatok hosszan tartó esztétikájához és az implantátum megoldások hatékony digitális feldolgozásához.

16.45–17.00 Németi Lajos (Magyarország): Tájékoztató a NOR - MDR regisztrációs témakörben a jelenlegi állásáról

Árnyalathű, polikromatikus és szuper transzlucens:

VIII. évfolyam, 2025. 7. szám

Kiadja: DP Hungary Kft. 1012 Budapest, Kuny Domokos u. 9.

Felelős kiadó: Laczkó Tamás

Főszerkesztő: Róth Lajos

Előkészítés:

DP Hungary Kft., Sárközi András e-mail: grafika@dental.hu

Információ, hirdetésfelvétel: Kiss Éden Aliz, telefon: 06-30-472-0030, 06-1-793-1874

Az újság e-mail címe: info@dental.hu

Az újság internetcíme: www.dental.hu

Terjesztés: E-mail hírlevél formájában.

A tudományos közleményeket a szerkesztőség lektoroknak adja át véleményezésre. Közlés csak egyetértő lektori vélemény, illetve a javasolt módosítások elvégzését követően lehetséges.

A cikkek szerzői vállalják, hogy az általuk elküldött írás saját forrásból származik, illetve a felhasznált anyagokat (publikációkat, illusztrációkat, képeket stb.) mindenkor pontosan feltüntetik. Írásaiknak jogi és egyéb adatvédelmi kérdéseiben felelősséget vállalnak.

A német nyelvű szakmai cikkeink magyar fordítását az Oemus Media AG Kiadó engedélyével szerkesztettük lapunkba. A fel nem használt kéziratokat, fotókat nem őrizzük meg, és nem küldjük vissza.

A hirdetések tartalmáért nem vállalunk felelősséget. A gyártó, illetve forgalmazó cégek kérésére közzétett cikkeket keretbe foglalva közöljük és (x)-szel jelöljük, azok szakmai tartalmáért a szerkesztőbizottság nem vállal felelősséget.

Szőnyi Balázs

AKIRE MÁR ILYEN FIATALON IS FEL LEHET NÉZNI

Interjú Temple Rolanddal

Temple Roland 24 év alkalmazotti lét után döntött úgy, hogy megnyitja a saját laborját, az ImplantMill-t. A fogtechnikus szakma iránt érzett szeretete és lelkesedése a mai napig kitart, munkássága a szakma iránt kiemelkedő, sokat segít a Magyar Országos Fogtechnikus Ipartestületnek pl. szakmai előadásaival, valamint telt házas kurzusokat tart az All-On-4 és a héjkészítés, 3D nyomtatás, implantátum protetika és digitális fogászat témájában. Tapasztalatának és tudásának köszönhetően a szakma legkitűnőbb fogorvosaival dolgozik együtt. Laborja a legmodernebb technológiával van felszerelve, melyet teljesen önerőből épített fel, és egy erős szakmai csapatot sikerült az évek alatt összeraknia. Sikerének titka kiderül a vele készült interjúból.

Szerintem nincs olyan fogtechnikus szakember ma az országban, aki ne hallotta volna Temple Roland vagy az ImplantMill laboratórium nevét. Telt házas előadások megtartása mellett kiemelkedő szakmai karrierrel és az ország egyik legsikeresebben működő laborjával rendelkezel. Viszont kevesen ismerik az életutadat, kérlek, mesélj kicsit magadról. Hogyan indult a fogtechnikusi karriered? Hogyan jutottál el oda ahol most tartasz?

1993-ban érettségiztem a második kerületi Móricz Zsigmond Gimnáziumban, így immáron 30 éve kerültem kapcsolatba a szakmával. Egy-két kitérő után viszonylag hamar egy kiváló mester, Sárközy Géza laborjába kerültem, akinek nagyon sokat köszönhetek. Nála elsajátíthattam a hagyományos fogtechnika minden fortélyát. Ez nemcsak alapot biztosított a későbbi önálló életemhez, de számtalan olyan szakmai értéket tudok továbbadni a fiataloknak, amelyek a tudás fontos pillérei. A sikerhez pedig folyamatos kitartó szorgalom és önfegyelem szükséges. Megfontoltan, de bátran hozok döntéseket, és talán a legfontosabb, hogy merek felelősséget vállalni.

Nagyon jó kapcsolatot ápolsz a fogorvosokkal, mondhatni baráti a kapcsolatod az ügyfeleiddel. A szakmánkban sok történetet és rengeteg panaszt hallani a fogorvos és fogtechnikus viszonyáról, a beérkezett lenyomat pl. egy örök téma a különböző fórumokon. Hogyan sikerült ilyen jó és baráti viszonyt kialakítanod a megrendelőiddel? Te és a laborod csapata hogyan kezelitek ezeket a helyzeteket?

A jó viszony alapja a kölcsönös tiszteleten alapuló őszinte kommunikáció. Hitem szerint minőségi munka csak minőségi emberi kapcsolat esetén jöhet létre, az én szakmai koncepcióm erre a tézisre épül. Ez nemcsak a fogorvos, hanem a fogtechnikus munkatársaimra is vonatkozik, szerintem ez mindennek az alapja!

Ha ezekből a kapcsolatokból barátság is szövődik, az egy olyan pluszajándék, amiért hálás vagyok a sorsnak. Mi nemcsak fogpótlásokat szolgáltatunk a fogorvos munkatársaknak, hanem igyekszünk egy biztonságos szakmai hátteret is nyújtani.

24 év alkalmazotti lét után döntöttél úgy, hogy saját labort nyitsz és otthagyod a mondhatni biztonságos bevételi forrást. Úgy tudom, már egy kész labort vásároltál fel, amit ké-

sőbb kibővítettél és fejlesztettél. Mi állt a döntésed mögött és hogyan indult el a saját laborod? Milyen fejlesztéseket eszközöltél az eredeti laborhoz képest az évek során? Idén lesz hét éve, hogy önálló útra léptem. Anyukám féltett és azt mondta: „Kisfiam otthagyod a biztos állásodat a bizonytalanért?”, erre ezt feleltem „Nem jól látod! A bizonytalant hagyom ott a biztosért! Mert ezt én fogom csinálni és működni fog!” Erős hittel és konkrét tervekkel indultam el. A labor akkor már pár hónapja működött két kereskedő összefogásával, két alkalmazottal, ahova én harmadiknak „szálltam be” szakmai vezetőként. Rövid idő után már csak ketten maradtunk Nagy Zsolt üzlettársammal, aki több mint 25 éve van jelen a fogászati kereskedelemben, az utóbbi 15 évben főleg az implantátumok és a csontpótlás területén. Miután átvettem a vezetést, számtalan változást eszközöltem kezdve a gipszelő rendszertől, egészen a gyártásig. 3D nyomtatókat, marógépeket, tervező gépeket szoftverekkel, kerámiakályhát stb. vettünk, sőt a laborom ma már rendelkezik egy Medit intraorál szkennerrel is. Ez sokszor segítség lenyomatok szkennelésénél, vagy más kényes esetek megoldásánál is.

Egypár héttel ezelőtt beszélgettünk az árazásról, ami a szakmában elég kényes téma, mivel sokan próbálják alacsonyan tartani az árakat, és sajnos olyanok is vannak, akik mindig a másik alá ígérnek! Ezzel szemben te, megkéred a minőségi munka árát, ami szerintem egy követendő példa. Mi az árazási stratégiád? Milyen alapanyagokkal dolgoztok?

Az árazás elsősorban nem stratégiai, hanem matematikai kérdés. Ezt sokan elfelejtik… Ki kell számolni azt, hogy az adott rendszer, labor milyen módon fenntartható. Erre

számtalan megoldókulcs létezik. Van, aki olcsón dolgozik, egyszerű körülmények között, nem tud minőségi munkaerőt megfizetni, nem ad számlát, alacsony minőségű alapanyagokból készít középszerű munkákat. Bár ezekkel sok szempontból nem értek egyet, de tagadhatatlan, hogy erre is megvan az igény. Így ezek a laborok is működőképesek, legalábbis egyelőre…

Ha már így tetted fel a kérdést, az én stratégiám merőben más. Színvonalas környezetben dolgozunk egy belvárosi „A” kategóriás irodaház első emeletén, kiváló szakembergárdával, akiket korrekten meg is fizetek, mindenről számlát adok, nálam nincs „B kassza”, minden bevételem után tisztességesen adózom, csak prémiumanyagokkal dolgozunk, Igyekszem a lehető legjobb minőségű munkákat szolgáltatni és el is kérem azt az árat, ami egy ilyen rendszer működéséhez kell. Ahogy szoktam mondani, nem tudok steaket adni rántott hús áron. Idevágó gondolat Hovány Mártontól, a Hovány cégcsoport tulajdonosától:

– A Mercedes drága?

– Nem! A Mercedes sokba kerül.

– Az a drága, ami nem éri meg!

Nyilván az árazás egy összetett és kényes kérdés, de én arra biztatom a kollégáimat, hogy higgyenek magukban, a munkájuk értékességében, és vegyék a fáradságot kiszámolni a „matekot”. A folyamatosan emelkedő árak, az egyre nagyobb bérigények, a fehéredő gazdaság és a szűkülő piac miatt elkerülhetetlen lesz a megfelelő árak kialakítása. Ez nem jóslat, ezek tények.

Nagyon szép sikertörténet áll a karriered és az ImplantMill laborja mögött, de az út sosem egyenes, mindig vannak hegyek és völgyek, amiken át kell másznunk. Milyen nehézsé-

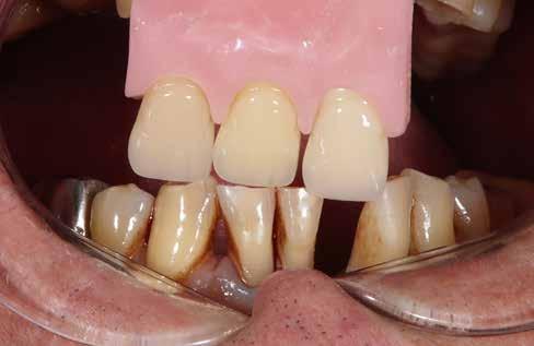
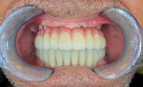
Roland és dr. Götz Gergely nem csak szakmai kapcsolatban vannak, hanem nagyon jó barátok is.
Cerasmart betétek. Full cirkon All-On-6 felső.

gekkel kellett szembenézned, voltak olyan emberek melletted, akik segítettek? Mit gondolsz, mik voltak a legfontosabb mérföldkövek a te és a laborod életében?

Elsősorban a családomnak köszönöm a támogatást és elfogadást, másrészt a barátaimnak, akik mindig mellettem álltak a nehéz helyzetekben. Az első mérföldkő, amikor ketten maradtunk üzlettársak Zsolttal, közös erővel nagy fejlődést tudtunk létrehozni, hiszen ő a kapcsolatait én pedig a szakértelmemet és munkámat adtam hozzá. Úgy szoktam mondani, ő adta a téglákat, én pedig építettem a házat. Ez a koncepció kiválóan működött pár évig, közben persze nekem is rendkívül nagy kapcsolatrendszerem épült ki. A következő mérföldkő, amikor közösen megállapodtunk, hogy egyedül folytatom a céget. Úgy érzem, igazán így tudnak kiteljesedni a személyiségemből fakadó elképzeléseim. Hálás vagyok, hogy a jó emberi kapcsolat és kölcsönös támogatás megmaradt Zsolttal, és a korábban kivált Bösztöry Adrienn-nel, a Realtrade tulajdonosával is. A cég működésében is több olyan pont volt, ami meghatározó. Ezek személyes történetek, de a szereplői megérdemlik, hogy megemlítsem. Amikor még hármasban voltunk hat évvel ezelőtt Magonyi Zsuzsi és Soós Bogi kolléganőimmel, óriásit fejlődtünk, az volt az első „aranycsapat”. Zsuzsi volt az első emberem, aki a munkáján kívül számtalan módon segítette a cég fejlődését. Ő ajánlotta Bogit is, aki ma, amikor már közel ötven orvossal kell napi szinten kommunikálni, ebben a jobbkezem lett. Aztán kicsit később, amikor bizalmat szavaztam Fekete Krisztiánnak, aki akkor még épp tanuló volt, és mára meghatározó a személye a cégben. Ennyi év alatt voltak persze mélypontok is, emberi csalódások, de ezek egy cég életének velejárói. Hálás vagyok, mert azt mondhatom, mindig jobban alakult, mint előtte. Egy ilyen helyzet után jött Juhász Norbi és Uszka Timi is, akik szintén kiváló szakemberek, jó kollégák, és a cég oszlopaivá váltak, amiért szintén hálás vagyok a sorsnak. Így tudtuk a színvonalat folyamatosan emelni. Persze vannak friss kollégák is, akik igyekeznek megfelelni a cég és a csapat szellemének, így jelenleg tizenegyen vagyunk.

Még régebben jártam bent nálatok, igaz akkor még földszinten helyezkedtetek el a Váci úti épületben, de már akkor a legmodernebb gépeket és technológiákat láttam bent a labor ajtói mögött. Hogyan épül fel a labor jelenleg, milyen eszközöket és gépeket használtok és a fogtechnika mely területeit feditek le?

A fogtechnika szinte teljes területét lefedjük, a fogsorjavítástól az implantos cirkon körhídig. Jelenleg két Imes icore

350i marógépem van, két magas minőségű 3D nyomtatóm, öt tervezőállomás, így házon belül oldunk meg minden folyamatot és gyártást, kivéve a lézerszinterezett fémvázakat, amiket kiváló partnerem gyárt le nekünk, az általunk tervezett .stl file alapján. Fontosnak tartom, hogy kontroll alatt tartjuk a munkák teljes folyamatát, hiszen így tudunk prémiumszolgáltatást nyújtani.

További beruházásokat is tervezek a következő években, figyelembe véve a szakma fejlődését és igényeit.

Számos európai uniós és hazai forrás elérhető volt régebben, amiket egy jó pályázatíróval ügyesen ki lehetett használni a fejlesztési beruházások területén. Teljesen önerőből sikerült felépítened a labort, vagy sikerült kihasználni a pályázati forrásokat hozzá? Milyen pályázatokat sikerült igénybe venned?

Erről lehet kicsit fura lesz a véleményem... Én soha nem vettem és nem is fogok igénybe venni pályázati támogatást. Mindent a családom és a saját erőmből értem el. Persze lehet rám azt mondani, hogy szerencsés vagyok, de én ezért nagyon sokat dolgoztam és dolgozom mai napig is, sok lemondás és nehézség van mögöttem. Jól meggondoltam minden befektetést, és kitartó, szorgalmas munkát tettem mögé. Egyetlen hitelem van, az egyik marógépre vettem fel öt évre egy 0,5 százalékos kamatú KAVOSZ-os hitelt, de hozzáteszem, a bankban akkor is rendelkezésemre állt a gép teljes vételára. Azt mondják, addig nyújtózkodj, amíg a takaród ér. Az én nagypapám arra tanított, hogy soha ne nyújtózkodjak addig, amíg a takaróm ér. Csak azt veszem meg, amire van pénzem és úgy, hogy még maradjon is. Ő más generáció volt, de jól megtanított, hogy mindig mindenből legyen bőségesen tartalékom. Ezért is tartok jelentős raktárkészletet szinte minden alapanyagból.

A laborod főleg digitális technológiákra építkezik és valahol még azt is hallottam, hogy már szinte csak digitális lenyomattal dolgoztok. Hogy álltok a hagyományos és analóg munkák terén? Valóban szinte már csak digitális munkáitok vannak?

Egyelőre még érkeznek analóg lenyomatok is, de a tendencia egyértelműen a digitálisan érkező munkák irányába mutat. Egyre többen vesznek intraorális szkennert, amiben én is igyekszem a tanácsaimmal és képzésekkel segíteni a fogorvos kollégáimat. Az arány jelenleg körülbelül 80%-20% a digitálisan érkező munkák javára.

Hatalmas most az értetlenség és az információhiány az MDR-rel kapcsolatban, melynek során minden készülő fogtechnikai munkát be kell jelenteni. Nálatok sikerült zökkenőmentesen bevezetni a laborba?

Nálunk még nem működik ez a rendszer, de folyamatban van, amiben sokat segít az egész szakmának a Magyar Országos Fogtechnikus Ipartestület, Róth Lajos vezetésével. Én személy szerint nagyon várom, hogy valódi ellenőrzés mellett működjön minden laborban kötelezően az MDR. Ettől tisztább és etikusabb lesz az egész szakma, és azok a cégek fognak talpon maradni, akik tisztességesen működnek. Ideje lenne lezárni a „sufni tuning” korszakot.

Manapság szinte az élet minden területét uralja és megkönnyíti a digitalizáció, így van ez a különböző vállalatirányítási, CRM és logisztikai szoftverekkel, melyekkel folyamatosan adminisztrálhatjuk a munkákat, nyilván tarthatjuk a partnereinket, használhatunk felhőalapú szolgáltatásokat a fájlátvitelre vagy tárolásra, melynek során bárhonnan elérhetőek a későbbiekben a digitális munkák és minták. Használtok-e bármilyen szoftvert a laborban, ha igen, milyen megoldásokat? Szerinted megéri akár egy kisebb labornak is bevezetnie valamilyen szoftveres technológiát? Én már második éve bevezettem, hogy teljesen digitálisan tárolunk minden munkát, az analóg munkákat is. Fotókkal és minden egyéb információval együtt. Így a teljes adminisztráció és statisztika átlátható és elérhető online is. Én a Fogline rendszert használom, ami nem mellesleg MDR kompatibilis. Emellett természetesen nagy kapacitású tárolókon rögzítünk minden munka tervezetet, így akár évek múlva is elő tudunk venni, akár garanciális probléma miatt bármilyen korábbi munkát. Az nem kérdés, hogy megéri-e ez a kisebb laboroknak, nincs más választásuk. Miután az MDR kötelező, azt papíron csinálni lehetetlen. Sajnos hozzáteszem, ehhez kell egy ember, aki ezt vezeti. Ez egy dolgozó körülbelül félnapos munkaidejét elveszi, így nem hiszem, hogy elkerülhető a létszám növelése emiatt. Ez nálam is így történt. Kessler Zsolt futárnak jelentkezett hozzám néhány éve. Majd, miután erre nem volt szükség, felvettem először gipszelőnek, mára pedig nemcsak a teljes nyomtatási folyamatot, de a Fogline rendszert is ő tartja kézben. Ehhez persze kellett Zsolt szorgalma és remek képességei is.

A kezdetek óta nagyon jó a kapcsolatod a GC japán fogászati anyaggyártóval. A labor GC Competence LAB elismerést kapott, mellyel csupán pár labor rendelkezik az országban. Pontosan mit jelent ez a számotokra és hogyan sikerült elérnetek?

Hosszú idő óta nagyon jó kapcsolatot ápolok Elekes Attilával, a GC Hungary vezetőjével és kollégájával, Gáll Marcell-lel. Marci szintén egy olyan ember az életemben, aki számtalan ponton segítette a sikerességünket. Az első igazi áttörést a Cerasmart hibrid kerámia bevezetése jelentette a laboromban, ezzel a termékkel és szolgáltatással piacvezetők vagyunk az országban. Számos GC terméket használunk, így az előadásaimban is hitelesen tudok ezekről beszélni. Nagyon büszke vagyok rá, hogy 2021-ben a Restaurantív Influence-en, amit a GC szervezett, nemcsak a fogorvosi kongresszuson tartottam két előadást, de a fogtechnikai kongresszus elnöke is lehettem. Több képzést is tartottunk

Elekes Attilával és Gáll Marcell-lel, a GC képviselőivel.

már kollégáimmal a laborban GC anyagokról, a Covid idején még online formában is. Ősztől dr. Farkas Péter fogorvos kollégámmal tervezünk a GC színeiben kreditpontos képzéseket tartani országszerte. Ezt összegezve azt gondolom, mi valóban kiérdemeltük a GC Competence Lab címet.

Sikerült egy nagyon jó és motivált csapatot összeraknod. Milyen előnyöket biztosítasz a munkatársaid részére? Miért jó az ImplantMill laboratórium csapatának a tagja lenni? Épp karácsony előtt kérdezte meg az egyik kolléganőm, hogy hogyan tudok ennyi különböző személyiségű emberből csapatot kovácsolni és összetartani őket. A válasz viszonylag egyszerű, elfogadás és támogatás. Mindenkit olyannak fogadok el, amilyen, igyekszem szeretettel és tisztelettel állni az emberekhez és megbecsülöm őket. Persze ez nem mindenkinek érték, voltak már csalódásaim, de ez nem vál-

toztatja meg a hozzáállásomat az emberekhez, nekem az alkalmazottjaim nemcsak posztok, engem valóban érdekel az az ember, aki a posztot betölti. Ennek megfelelően igyekszem nekik mindenben segíteni nemcsak a szakmai, de a magánéletükben is. Odafigyelek arra, hogy „legyen idejük élni”, már nem az a norma, ami az én fiatalkoromban volt, hogy reggel 7-től este 11-ig dolgozni kell, persze ez rám nem mindig igaz, de hát így jár az, aki céget vezet… Fontos számomra az egészségük, ezért is jár hozzánk masszőr évek óta. Figyelmet fordítok rájuk, megünnepeljük a születésnapokat, de még az itt töltött évfordulókat is. Rendszeresen járunk közös programokra és számos képzésre fizetem be őket folyamatosan. Jövőre pedig kiviszem az egész csapatot négy napra Kölnbe az IDS-re. Azt szoktam mondani én mindent megadok nekik, amit csak tudok, és cserébe semmi mást nem kérek, mint minőségi munkát és pozitív hozzáállást.

Nagyon szimpatikus, hogy karitatív tevékenységeket is támogattok, pl. ilyen a magyar Hospice alapítvánnyal való együttműködésetek. Pontosan milyen karitatív projektekben vesztek részt, miket és hogyan támogattok? Sajnos mindkét szülőmet rák betegség miatt veszítettem el, édesanyám halálakor a Hospice alapítvány munkatársai támogattak engem is és édesanyámat is, hogy a búcsú a lehető legemberibb legyen, így őket rendszeresen segíti a cégem. Korábban a Dévény Anna alapítványt támogattam nagy összeggel, továbbá

folyamatos támogatója vagyok a Segítő szívvel, jó szándékkal közhasznú alapítványnak. Nézetem szerint világunk egy organikus rendszer, amiből ha nekünk több jut valamiből, például pénzből, akkor kötelességünk vissza is tenni a „rendszerbe”.

Legutóbb a MOFI által szervezett Magyar Fogtechnikus Akadémián láthattunk tőled egy nagyon jó előadást „A 3D nyomtatás lehetőségei, határai” címmel, mely során az Allon-4® technológiáról is beszéltél. Mikor és hol láthatunk téged legközelebb?

A Magyar Fogtechnikus Akadémia következő előadásain mindenképpen, továbbá ami már biztos, az Upgrade Kongresszuson és a Dental World-ön is. Ahogy említette, ősztől a GC színeiben adunk elő, ezenkívül tervben vannak önállóan szervezett fogtechnikai és fogorvosi képzések is.

Végezetül kérlek, mesélj arról, mik a jövőbeli céljaid, milyen 5-10 éves tervei vannak az ImplantMill labornak? Úgy vélem, akkora változás, ami alapjaiban formálja át a szakmát, mint a digitalizáció volt, nem várható a következő években. Jelenleg igyekszem figyelni a szakmai folyamatokat, és reagálni a legkisebb irányváltásokra is. A laborral pedig továbbra is azon az úton fogok járni, ahol törvényesen, tisztességesen, minőségi szolgáltatást nyújtva tudunk segíteni a pácienseknek közösen a fogorvos munkatársainkkal, ezzel egészséget és boldogságot teremtve.

Az ImplantMill csapata.

6 fejezet 49 szakmai cikk 388 oldal 1980 színes kép

Róth Lajos

PORTRÉ „A páciens panasza az elsődleges, törekedjenek azt lehetőleg gyorsan és humánusan megoldani…”

ÚJ GENERÁCIÓ

„A folyamatos tanulás és kutatás kulcsfontosságú a szakmai fejlődésben”

MED. DENT

Interdiszciplináris fogászati kezelés myofunkcionális készülék, alignerek és protetikai ellátás alkalmazásával

MED. DENT Abradált frontfogakkal rendelkező felnőtt páciens interdiszciplináris kezelése

CÍMLAPSZTORI

Florin Stoboran egy világhírű fogtechnikus mester román és magyar vérrel

FOGTECHNIKUSOK SZAKMAI LAPJA Életet lehelni monolit megoldásokba

Egy labortulaj, aki mert változtatni, és sikeres lett! LABORBEMUTATÓ LABORATÓRIUM

LABORATÓRIUM

A leplezőkompozitok (analóg) világa

Robert Zivkovic (Németország)

KIEGÉSZÍTETT

VALÓSÁG

A KÉPZÉSBEN –TELJES FOGSOROK RENDSZER ALAPJÁN, 2. RÉSZ

A Virtoon cég AR oktatószoftverével agyműködéshez igazított, gyakorlatorientált tanulás valósítható meg. Az AR rövidítés az „Augmented Reality”, németül „Erweiterten Realität” kifejezés kezdőbetűiből áll össze – jelentése: kiegészített valóság. E technológia segítségével a fogtechnikai tananyag életre kelthető a valós környezetben. A mottó: csodálkozni, felfedezni, kipróbálni. Csak egy okostelefon, vagy egy táblagép szükséges az alapvető kompetenciák elsajátításához, amely a gyakorlati eljárások biztonságos és tiszta kivitelben történő bemutatásával történik. Robert Zivkovic ismerteti a folyamatot. Ezúttal teljes lemezes kivehető fogsorokról lesz szó.

A Virtoon AR oktatószoftverével tanulják meg a tanoncok a fogatlan állcsontokra készítendő teljes lemezes fogsorok rendszerorientált elkészítését. A stuttgarti régió HWK képzőakadémiáján elérhető ez, nagy érdeklődést kiváltva. Nem csak a képzendők között!

„Milyen szép lenne, ha meg tudnám érteni” gondolják gyakran magukban a tanulók, amikor a következő feladat rejtvényével szembesülnek. Eluralkodik a bizonytalanság. Hol a tanár? Van rám ideje? Ugyanakkor pedig a tanulás annyira egyszerű is lehet – ráadásul a legtöbb esetben még nagy örömet is okoz.

1. kép: Az AR oktatószoftver képernyőképe – teljes fogsor rendszerben

Amikor önálló feladatmegoldásra kerül sor, akkor jutnak a tanulók olyan kompetenciához, amit szakmai környezetük kötelezően megkíván. A képzőakadémia kulisszái mögé vetett pillantás szemlélteti, hogyan telik egy gyakorlati hét az AR oktatószoftver kíséretében.

Pillantás a kulisszák mögé

Aki nagyító alatt szemléli az AR oktatószoftvert, gyorsan megállapíthatja, hogy ez egy Serious Game (komoly játék), ami a kiképzendővel történő információ- és képzésianyag-közlésre irányul. Nem hiányozhatnak a pontok, a legmagasabb elért pontszám kimutatás, a ranglista, ami önkéntes versenyen alapul, kitüntetések a sikeres feladatmegoldásokért, vagy a következő fokozat eléréséért.

Az 1. szinten a mintaanalízis és a harapásvétel kiértékelése szerepel. Lépésről lépésre jelölnek meg színes vonalakkal minden szükséges információt a tanoncok gipszmintáikon. A rendszerben felépülő, tudásra vonatkozó kérdések mélyítik el végül a megszerzett tudást. Megkönnyítik a tanerő számára, hogy célzottan, a tudásban tátongó lukakra összpontosítva avatkozhasson be (2-6. képek)

Az első lépések tanár általi átvételét követően kezdődik a dinamikus felállítás (7. kép). A szükséges foggarnitúrák automatikusan megjelennek a virtuális nézetben. A következő feladatok során digitálisan fel kell állítani a fogakat. Ezt követően a szituáció átkerül a valódi gipszmintára. Először kalo-

dával történik a fogfelállítás. Ez az oldalt megjelenő menüben igény esetén kicserélhető egy áttetsző okklúziós síkra (8–9. képek). Mindez megkönnyíti a fogak térbeli elhelyezését, valamint a szagittális és transzverzális kompenzációs görbék értelmezését. Már kezdéskor feltűnt, hogy a szoftver kezelése legtöbbször intuitív, alig igényel tanári segítséget. A tanulók koncentráltan, a feladatra fókuszálva, önállóan dolgoznak. A

továbbiakban az is megállapítást nyert, hogy szinte minden tanonc azonos előrehaladást ért el (10–13. képek).

Az oldalsó menüsorból funkcióorientált jegyeket hívhatunk elő a front- és rágófogak vonatkozásában, akár kombinálva is a kettőt (14–17. képek). További rajzolatok is behívhatók. Így fontos információkhoz jutunk, többek között a munka- és balanszoldal interaktív ábrázolásához (18. kép)

2. kép: Screenshot, 1. fokozat.
4. kép: Screenshot, harapási sablon.
6. kép: Screenshot – kérdőív.
3. kép: Screenshot, mintaelemzés.
5. kép: Az első gyakorlati lépések.
7. kép: Screenshot, 2. fokozat.

8. kép: Screenshot, fogfelállítás kalodával

10. kép: Az alsó és felső front felállítása.

12. kép: A vezetőpályák ellenőrzése.

Az ujjunkkal minden állkapocs-ízületi mozgást előhívhatunk az artikulátorban, elmélyítendő a funkcióra és mozgásra vonatkozó ismereteinket (19. kép). Aki tanulmányozni szeretné az állkapocs mozgását, válthat artikulátor- és koponyanézet között is (20. kép). A funkcionális jellemzők minden pillanatban előhívhatók és eltüntethetők.

A koponyasíkok és mérőpontok vonatkozásában is megerősíthetők, elmélyíthetők az ismeretek, azok megmutatásával (21. kép)

A legnagyobb kihívást a funkcionálisan működő fogfelállítás csiszoló- vagy frézelőeszközök használata nélküli

9. kép: Screenshot, fogfelállítás okklúziós síkkal.

11. kép: Felállítás kalodával.

13. kép: Utolsó javítások.

elkészítése jelenti. A teljes fogsorok statikájának és kiegyensúlyozottságának értelme nem csak elméleti szempontból, hanem a gyakorlatban is világossá válik a tanulók számára. A 22. és 25. képek például a felső rágók palatinális csücskeinek egyenletes megtámasztását mutatják mediotrúzióban (22-25. képek). A megvalósításban nagy segítségünkre volt a saját felállítás összevetése a virtuálissal (26. kép). Gyakorlati szempontból az AR ábrázolási formáját is 3D-re állítottuk, hogy mindkét változat előnyét élvezhessük.

14. kép: Az oldalmozgások ábrázolása.
16. kép: A protrúzió ábrázolása.
18. kép: A mozgások és érintkezések ábrázolása.
20. kép: Egyedi állkapocsmozgás (koponya).
15. kép: A mediotrúzió ábrázolása.
17. kép: Az okklúziót stabilizáló érintkezések.
19. kép: Egyedi állkapocsmozgás (artikulátor).
21. kép: A koponya síkjai és mérőpontjai.

Támogatás az AR oktatószoftver és a képző személy oldaláról

Az AR oktatószoftver nem csak a tanoncoknak könnyíti meg a tananyag elsajátítását és megértését, hanem az oktatóknak is lehetőséget nyújt minden tanuló célzott megközelíté-

sére. Áttekintő módban az egész csoport tanulmányozható (27. kép), de egyedileg is megfigyelhető minden tanonc előrehaladása. Az eredmények mellett a hibaforrások és a tudásban mutatkozó lukak is megmutatkoznak, így megbeszélhetők a tanulóval.

A személyes kapcsolat a tanulók, illetve a tanár és a tanulók között végig folyamatosan megmarad. A közös feladatmegoldás és követelményállítás a tananyag vonatkozásában továbbra is fontos eleme a közös tanulásnak és megértésnek.

22. kép: Virtuális centrik (központi záróharapásos helyzet –a ford.).
24. kép: Mediotrúzió – virtuális.
26. kép: A saját fogfelállítás összevetése a virtuális példával.
23. kép: Valós centrik.
25. kép: Mediotrúzió – valós.
27. kép: Az eredmények kiértékelése.

KAMERA:

Mindenki a csapat tagja, a tanonc és az oktató is. A kettejük közötti bizalom tovább erősíti a tanuló önbizalmát (28. kép) Végül az alaplemez megmintázása következik, összehasonlítva az AR oktatószoftver kritériumaival (29–31. képek). Mivel e munkafolyamat kapcsán is keletkezhetnek változások a statikában és kiegyensúlyozottságban, újabb funkcióellenőrzés következik az oktatóval.

FENNTARTHATÓSÁG

Végső következtetés

Folyamatosan törekszünk arra, hogy a munkafolyamatok, a gyakorlat, a termelési folyamatok esetében csökkentsük az ökölógiai lábnyomunkat.

A képzési akadémián eltöltött hét felfedező utazás volt az aha!-birodalomba. Az új technológiákra rácsodálkozás mellett üdvözlendő az értelmes, strukturált oktatás is. Az ismétlések digitálisan és gyakorlatban is elvezettek a teljes fogsorok működésének rendszerorientált mélyebb megértéséhez. A saját tempóban tanulás a megvalósítás során döntő és motiváló szerepet kapott, akárcsak a társakkal való összehasonlítás. A cél az, és az is marad, hogy megfelelő tananyaggal és oktatóeszközökkel olyan minőségű oktatást biztosítsanak, amelynek alapján a szakma művelői versenyképességüket megőrzik, és megfelelnek munkakörnyezetük kihívásainak is.

PRECIZITÁS

Német mérnökök és fogászati szakemberek kéz a kézben dolgoznak együtt, hogy tökéletes protetikai rendszert biztosítsunk.

MULTY PLATFORM SYSTEM

protekiai elemek az összes jelentős implantációs rendszerhez

CSAPATMUNKA

A teljes csapatmunka a háttérben, biztosítja a legkisebb részletre is odafigyelve, hogy minden tökéletesen működjön.

GYORSASÁG

A következő folytatásból megtudják, hogyan tanulható meg a fémlemezek elkészítése az Augmented Reality segítségével.

Idő- és pénzmegtakarítás a fogtechnikusok, a fogorvos és a teljes páciens kezelés-folyamat számára.

Forrás: Das Dental Labor 2022/12

28. kép: Tanár-diák kapcsolat.
30. kép: A kialakítás jellemzői.
29. kép: Az alaplemez kiképzése.
31. kép: A megmintázott alaplemez.
32. kép: A funkció ellenőrzése.

MPS

MULTY PLATFORM SYSTEMS

Kiváló minőségű protekiai elemek minden ismert implantációs rendszerhez

PIACVEZETŐ MÁRKAKOMPATIBILIS

GYÁRTÓ

Az összes ismert implantátum rendszerrel kompatibilis.

MADE IN GERMANY Tradicionálisan magas minőség.

GYORSASÁG

Idő- és pénzmegtakarítás a fogtechnikusok és a fogorvosok számára.

PRECIZITÁS

Német mérnökök és fogászati szakemberek dolgoznak együtt, hogy tökéletes protetikai rendszert alkossanak.

A klinikai próba során a hölgy mégis a központi

amit korrektúrégetéssel valósítottunk meg. A folysavazást

és a korona adhezív módon, kompozittal került

az új VITA AMBRIA receptnek köszönhetően az esztétikus zóna

központi diasztéma teljes zárását kérte, folysavazást és szilanizálást követően a kilenc héj került rögzítésre. A régi, jól bevált analóg módszer hatékonyan valósította meg préskerámiával zóna rehabilitációját.

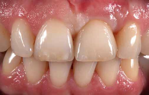
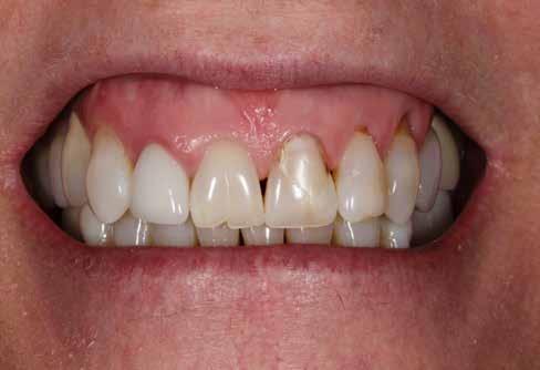
HATÉKONYSÁG ÉS ESZTÉTIKA PRÉSKERÁMIÁVAL

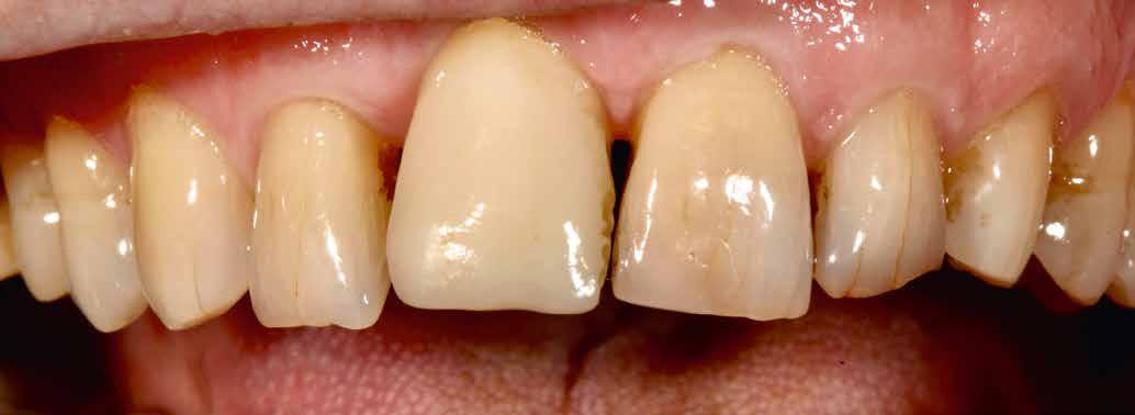
A CAD/CAM elterjedése ellenére az analóg eljárások nem szűntek meg funkcionálni. Esetbemutatásunk demonstrálja, hogyan rehabilitáltunk sikeresen az esztétikus zónában jól bevált munkamenettel, de új préskerámia recepttel. Az eredmény: természetes transzlucencia, opaleszcencia, fluoreszcencia – és egy boldog páciens.

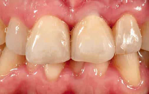
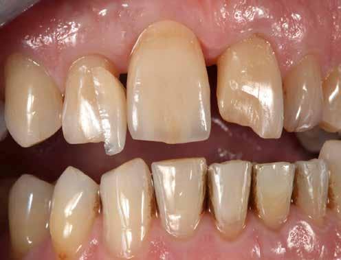
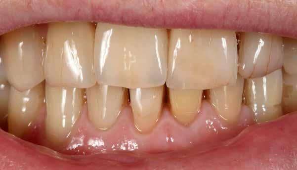
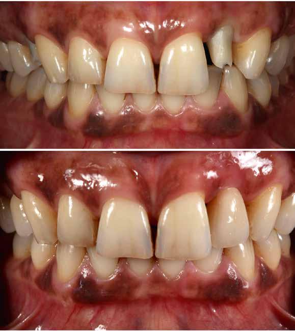
A kiindulási helyzet recessziókkal és szabálytalan éli lefutással.

A viaszmintázat lehetővé tette a morfológia megjelenítését és a vitát a tervről.

A viaszmintázat vesztibuláris kiterjedése palatinális nézetből.

„Nem mondhatom, hogy jobb lesz, ha másképp lesz; de annyit mondhatok, másképp kell lennie, ha jobbat akarunk” – állította a kísérletező fizika egyik úttörője, Georg Christoph Lichtenberg. A fogászati anyagok vonatkozásában megfordítva a mondást, ezek csak a recept és a felépítés megváltoztatásával válhatnak jobbá. A CAD/CAM olyan hype, ami fék nélkül gázolt be a laboratóriumba és a rendelőbe, és állandóan jelen lévőnek tűnik. Ennek ellenére ne feledkezzünk meg az évtizedek alatt bevált, kipróbált analóg eljárásokról se! Még most is gyakran használjuk őket, és megérdemlik, hogy folyamatosan javítsunk rajtuk. Nem minden laboratórium tud és akar a digitális expresszvonatra felugrani. Az új eljárások, minden innovációs erejük mellett még mindig gyakran rendelkeznek kísérleti karakterisztikával. A préskerámia technológia például olyan kipróbált, gazdaságos eljárás, amely alkalmas teljes kerámiarestaurációk hatékony elkészítésére. Ami persze nem jelenti automatikusan, hogy a préskerámiát nem lehet jobban csinálni.

A préskerámia újra feltalálva

Néhány dolgot az idők során megszoktak a fogtechnikusok: a préskerámia néha nem ömlik meg a vékony részeken, ezért viaszból túlmintázzuk azokat, majd óvatosan redukáljuk a kerámiatestet. Erős reakciós réteg kialakulása miatt – a beágyazó anyaggal kapcsolatban – a kibontás néha keserves, a kerámiafelület durva, porőz. A restaurációk gyakran szürkék, élettelenek. A VITA AMBRIA (VITA Zahnfabrik, Bad Säckingen, Németország) új receptje cirkónium-dioxid erősítésű lítium-diszilikátból új fejlődési fázisba helyezi a préskerámia anyagot, mert lehetővé teszi a fogászati anyag technológiailag minden szempontból jobb kihasználását. A bemutatásra kerülő esetben VITA AMBRIA hatékonyságát figyelhetjük meg a bevált eljárásmódozattal, esztétikus végeredménnyel.

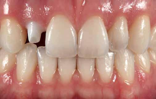
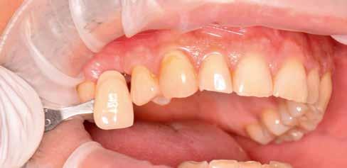
Az intraorális mock-up lehetővé tette a kezelési cél közös megbeszélését

A kilenc héj és a korona preparációja enyhén kerekített vállal.

A restaurációkat hajszálvékonyan építettük fel viaszból, majd felcsapoztuk (bal oldali kép).

Ahogy a viaszmintázat, a kész préstestek is vékonyak (jobb oldali kép).

A vékony széleket sem kellett túlmintázni… (bal oldali kép).

…mégis tökéletesen megjöttek préselés során (jobb oldali kép).

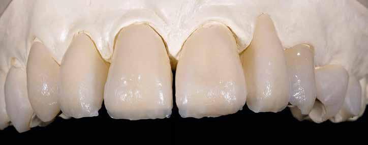
A ki- és feldolgozott VITA AMBRIA vázak.

A VITA AMBRIA vázak precíz széli zárása palatinális nézetből.

A vázak első mosóégetés után VITA LUMEX AC leplezőkerámiával.

A héjak állapota a záró, ENAMEL LIGHT-tal történő égetés előtt.

A kész restaurációk kidolgozva és fényégetve VITA AKZENT Plus GLAZE LT-vel.

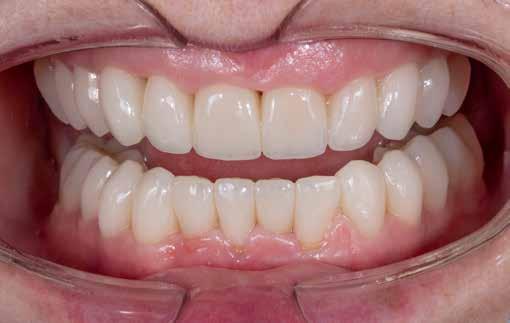
Az esztétikus zóna a teljes adhezív ragasztás után abszolút természetes hatású.

Végül a páciens mégis a diasztéma teljes zárását kérte.

A kilenc héj és a 23-as korona palatinális nézetből.

Hatékony munkamenetben réteggazdag ellátás készül.

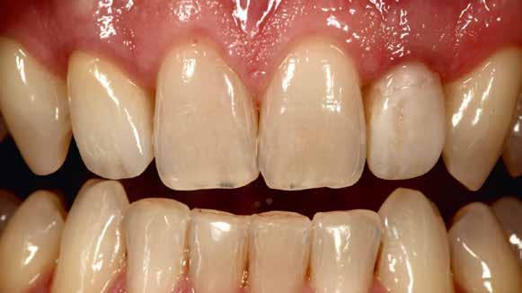
A felső rekonstrukciók harmonizáltak az alsó metszőkkel.

A pácienseset

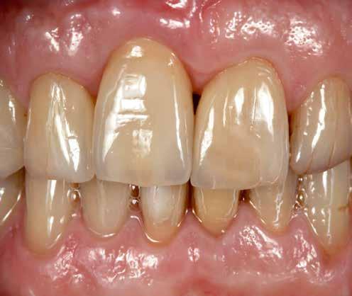
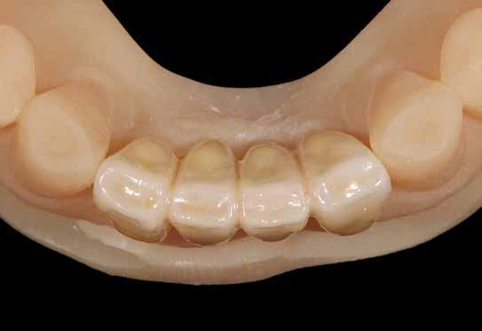
Ötvenéves hölgy elégedetlen volt felső frontfogai esztétikai megjelenésével. Ezért elment a rendelőbe. Klinikailag vesztibulárisan két nagy kompozittömés volt megfigyelhető, széli elszíneződéssel. Az élek lefutása egyenetlen, aszimmetrikus volt. A frontfogakon recessziók és a nyakak szabaddá válása volt megfigyelhető. A hölgy a fogív gyors restauratív nivellálását kívánta. A nagymetszők közötti diasztémát csökkenteni kellett, de nem zárni, hogy megmaradhasson az optimális hossz-szélesség arány. A recessziók kötőszöveti fedését műtéttel kizárta. Viaszmintázat és intraorális mock-up segítségével szimuláltuk a teljes kerámiahéjakat, illetve segítettük a minimálinvazív preparációt a zománc területén. A páciens világos színű restaurációt akart. Vázanyagként a felső frontok területén a VITA AMBRIA anyagot terveztük használni, hogy a héjak életteli, színhelyes alapot kapjanak, egyidejűleg elérve az igen magas, 500 MPa-os szilárdságot. Az egyéniesítés megvalósítását VITA LUMEX AC leucit-erősítésű üvegkerámiával terveztük, hogy kevés, szín- és formastabil égetéssel reprodukálhassuk a fogakat. A 23-as szemfogat – palatinálisan megfigyelhető defektusa miatt – egyedüliként teljes koronával terveztük rehabilitálni, ugyanezzel az anyagkombinációval. A bukkális folyosó feltöltése érdekében a premolárisokra is héjak kerültek. Ezek természetes fluoreszcenciájának, transzlucenciájának és opaleszcenciájának eléréséhez monolit VITA AMBRIA munkákat készítettünk, felszíni festéssel.

Hajszálvékony viaszmintázat

Helyi érzéstelenítést követően preparálták a fogakat, enyhe kerekített vállal és ferdített éli kifutással a mock-up alapján. A preparálás konzekvensen kiterjedt a recessziós területekre is, ezek restauratív lefedése érdekében. Az 11, 21 és 22 fogakon gömb-gyémánttal vertikális behelyezőhornyot alakítottak ki. A lenyomatok alapján készült mester- és antagonista mintát beartikuláltuk a regisztrátum segítségével, és elkezdtük a laborban a tíz munkadarab megmintázását. Már a viaszmintázatok cervikális részén is nagyon gracilisan dolgoztunk, hogy morfológiailag is megfelelhessünk a minimálinvazív beavatkozás kihívásainak. A hat front- és négy monolitvázat hagyományos eljárással csapoztuk és beágyaztuk. A beágyazó megkeményedését követően előmelegítettük a beágyazást, majd VITA VACUMAT 6000MP kályhában A1 színű VITA AMBRIA HT anyagból préseltük le a munkát.

Biztos és gyors kibontás

A lehűlési fázis után kibontás következett, előszőr körkörösen a préscsatorna körül levágtuk a beágyazót szeparálóval. A durva kibontást 50 mikronos aluoxidos lefújással 4 bar nyomáson végeztük. A finomlefúvást ugyanezzel a szerrel, 2 bar-on, tompaszögben végeztük. Ezzel az alig észrevehető reakciós réteget is eltávolítottuk. A gracilis széli területek is robusztusnak bizonyultak, nem sérültek. Végül nyomás nélkül, vízhűtéssel, vékony szeparálóval levágtuk a csapokat. Az óvatos és finom kidolgozás gyémántokkal történt.

Hatékony

individualizálás

Először a hat front vázát egyéniesítettük. A kerámiaszemcsék mikrofogazottsága biztosította a megfelelő állékonyságot és a pontos elhelyezhetőséget felrakás során. VITA LUMEX AC FLUO INTENSIVE cream anyaggal mosóégetést végeztünk, ami mélyről jövő fluoreszcens hatást eredményez. A cervikális területet FLUO INTENSE cappuccino (70%) és arctic white (30%) keverékével még intenzívebbé tettük. A mamelonokat MAMELON safre színből építettük. Az élen és a sarkokon váltakozva TRANSLUCENT deep-blue (80%) és FLOU INTENSE arctic white (20%) segítségével kékes fényjátékot rétegeztünk. A második égetésben a kiválasztott A1-es fogszínt értük el BASE DEN TINE A1, illetve a mamelonoktól a cervikális terület határáig terjedő OPAQUE DENTINE A1 masszákkal. A fényjátékot az éleken és sarkokon TRANSLUCENT waterdrop színnel erősítettük. A finom vertikális repedéseket VITA AKZENT Plus EFFECT STAINS 01 (70%) és GLAZE POWDER LT (30%) festékek keverékével értük el. A harmadik, utolsó égetésben teljesen lefedtük a hat frontot ENAMEL LIGHT masszával, a palatinális élen MAMELON honey-melon (70%) és BASE DENTINE A1 (30%) keverékéből Halo-effektust építve. A kidolgozást finom gyémántokkal és gumipolírozókkal végeztük. Célunk a természetes felületi textúra és fénytükrözés kialakítása volt a zománcléceken. A glazúrt VITA AKZENT Plus GLAZE LT POWDER és POWDER FLUID kimért keverékével égettük.

Festés a premoláris területen

A négy premoláris héjat VITA AKZENT Plus festékekkel festettük. A dentinmag területére szürkésbarna VITA AKZENT Plus BODY STAIN 05, az élre EFFECT STAINS 12 (szürkéskék) és 13 (szürke) keveréke került. A Halo-hatást fehér EFFECT STAINS 01-gyel értük el.

Behelyezés és összefoglalás

A klinikai próba során a hölgy mégis a központi diasztéma teljes zárását kérte, amit korrektúrégetéssel valósítottunk meg. A folysavazást és szilanizálást követően a kilenc héj és a korona adhezív módon, kompozittal került rögzítésre. A régi, jól bevált analóg módszer az új VITA AMBRIA receptnek köszönhetően hatékonyan valósította meg préskerámiával az esztétikus zóna rehabilitációját. A préskerámia természetes transzlucenciája, opaleszcenciája és fluoreszcenciája élő bázist adott az egyéniesítéshez és karakterizáláshoz. A préselés utáni minimális reakciós réteg gyors kibontást és kidolgozást tett lehetővé. A préskerámia robusztussága biztonságot hozott. Az optikai összhatás és összjáték a VITA LUMEX AC leplezőkerámiával hatékonyan segítette a páciensre jellemző finomságok megjelenítését. A hölgy nagyon elégedett volt új mosolyával.

A megváltoztatott recepttel a préskerámia még jobb lett.

Forrás: Das Dental Labor 2022/9

Lézerolvasztásos technológia por por Az ötvözet újra felfedezve.

Dentaurum az A porgyártó, amely megfelel a fogászati és anyagszabványok követelményeinek mindkét termék esetében.

22674 ISO EN DIN • Fogászat - Fémek rögzített és kivehető fogpótlásokhoz és alkalmazásokhoz.

9693 ISO EN DIN • Fogászat - Összeegyeztethetőségi vizsgálatok a fémkerámia és kerámia-kerámia rendszerekhez.

5832-3 ISO EN DIN • Sebészeti implantátumok - Fémes anyagok3. rész: Titán-6-alumínium-4-vanádium alakított ötvözet. (rematitan® por)

ÁRNYALATHŰ, POLIKROMATIKUS ÉS SZUPER TRANSZLUCENS: VITA YZ ST – A CIRKON MINDEN INDIKÁCIÓRA!

1. ábra: Első lépésben csak a fényerőt határoztuk meg a VITA Valueguide 3D-MASTER segítségével.

3. ábra: A színárnyalatokat gingivamaszk előtt is dokumentáltuk.

2. ábra: A meghatározott 2M3 fogszín a szomszédos fogszínekkel.

A laboratóriumokban és a fogorvosi rendelőkben mindenki ismeri ezt az esettípust: a páciensnek generalizált parodontitis miatt már több foga is elveszett a felső állcsontban, és kivehető fogsort visel. A tömörebb mandibulacsont eddig jobban bírta a krónikus bakteriális fertőzést, egészen addig, amíg a metszőfog körüli csonthiány túl nagy lett, és a metszőfogat is ki kellett húzni. Ennek az egyetlen résnek köszönhetően a páciens fix restaurációt kért. Az implantátum nem volt kívánatos, és nem is javasolt a krónikus fertőzés, a rossz csontozat és a korlátozott hely miatt. A következő esetpéldában dr. Julio Gomez Paris (Rosario, Argentína), aki fogorvos és fogtechnikus egyben, bemutatja, hogyan lehet ez a fajta eset minimálisan invazív, esztétikus és gazdaságosan megoldható a fogszín szisztematikus és precíz, a VITA 3D-MASTER fogszínkulcs segítségével történő meghatározásával és a hozzáillő VITA YZ ST Multicolor cirkon anyagának használatával (VITA Zahnfabrik, Bad Säckingen Németország).

A fog eltávolítása és szisztematikus fogszínmeghatározás

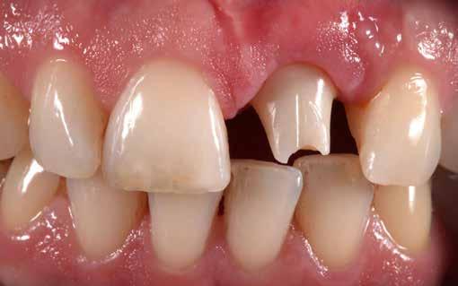
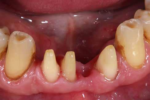
A 76 éves páciens azért kereste fel a fogorvosi rendelőt, mert észrevette, hogy a 31-es fog kilazult, és az azzal való harapás fájdalmat okozott. Parodontális szondázás és röntgen diagnosztika után egyértelmű volt, hogy a fogat nem érdemes

4. ábra: A 32, 41 és 42 fogak előkészítése hídpillérekként.

megőrizni. Helyi érzéstelenítést követően a fogat eltávolítottuk, és a 42, 41, illetve 42 fogak között keletkezett foghiányt híd megoldással teveztük megoldani a gyógyulási folyamat után. A pontos fogszínmeghatározást és dokumentálást a VITA Linearguide 3D-MASTER segítségével végeztük el annak érdekében, hogy a megfelelő árnyalatú cirkontömböt tudjuk kiválasztani. A fogszínkulcs lehetővé teszi a szisztematikus és gyors fogszínmeghatározást két lépésben. Minden fogszín a világossági értékből, az árnyalatintenzitásból és a színárnyalatból tevődik össze. Emiatt a VITA Valueguide 3D-MASTER segítségével először csak a fogak világosságát, azaz fekete/fehér tulajdonságát állapítjuk meg. A 0-tól 5-ig

terjedő skálán a választás a 2-es árnyalatot mutató pálcára esett, tehát a VITA Chroma/Hueguide 3D Master 2-es csoportban folytattuk a meghatározást. A színárnyalattal (M) és az árnyalatintenzitással (3) kölcsönhatásban végül egy 2M3 fogszín került meghatározásra és fotódokumentálásra.

Cirkónium minden indikációhoz

A VITA YZ cirkon négy áttetszőségi fokozatban kapható (transzlucens, erősen transzlucens, szuper transz -

5. ábra: A monolitikus híd szinterezés után a kiegészítő kontroll modellen.
7. ábra: A cirkóniumhíd két héttel a beragasztás után.
6. ábra: A szuper transzlucens cirkónia VITA YZ ST Multicolor híd incizális nézetben.

lucens és extra transzlucens). A szuper transzlucens, illetve polikromatikus, azaz színátmenetes VITA YZ ST Multicolor cirkont választottuk a teljes anatómikus hídpótláshoz, 1200 MPa 3 pontos hajlítószilárdsági értéke miatt kiválóan alkalmazható hidak készítéséhez. 46%-os áttetszőségével megfelel az anterior fogrégió esztétikai követelményeinek is. Az integrált színátmenetnek és a VITA fogszínkulcshoz való árnyalathűségnek köszönhetően az anyag különösen alkalmas monolitikus helyreállításra is.

1. A megfelelő árnyalat és a természetes színátmenet már adott a tömbben, ami alapkövetelmény egy olyan eljárásnál, amely lehetőleg minimálisan invazív, különösen az alsó állcsont érzékenyebb metszőfogai esetében.

2. Az előkészítést, majd a CEREC Primescan készülékkel történt digitális lenyomatvételt követően a hidat az elvárt erősségű összekötésekkel az inLab 22.0 tervező szoftverrel megterveztük és a CEREC Primemill maró készülékkel legyártottuk (all Dentsply Sirona, Bensheim Germany).

A marás után a restaurációt a VITA ZYRCOMAT 6100 MS (VITA Zahnfabrik) szinterező kemencében fejeztük be.

Árnyalathűség mint a siker kulcsa

A precíz marási eredményeket igazolva kontroll modellt készítettünk additív technológiával. A kromacitás színátmenete és a kiegyensúlyozott transzlucencia a teljes anatómikus hidat karakterizálás nélkül is nagyon természetessé tette, így a VITA AKZENT Plus EFFECT STAINS 05 színezővel csak minimális narancssárga színű karakterizálás történt incizálisan és interproximálisan. Ezt követte a VITA AKZENT Plus GLAZE LT-vel történő felületfinomítás. Megfelelő klinikai bepróbálás után a hidat önkötő cement segítségével be lehetett ragasztani. A fogszín szisztematikus meghatározása és a VITA YZ ST multicolor tömb megfelelő árnyalatban történő kiválasztása megteremtette az alapvető esztétikai feltételeket. Az egyszerre szuper transzlucens és polikromatikus anyag minden esetben a cirkónia lett, amely integrált esztétikájának és szilárdságának köszönhetően gazdaságos és gyors restaurálást tett lehetővé. A páciens elégedett volt, hogy sikerült fix pótlást készíteni, és teljesen elégedett volt új, hézagmentes mosolyával.

8. ábra: A természetes foganyaggal harmonizált fogszín és színátmenet.

Könyvajánlataink

BIZTONSÁGGAL ÁTFOGÓAN MÉRNI

Újdonság a Schütz-Dentalnál: a Tizian-Function-Pro-2.0 szoftver

négy új modulja

Csak a Schütz-Dentalnál elérhető az új Tizian Function Pro 2.0. szoftver. „A zebris Medical GmbH-val együttműködve fejlesztették a digitális alapú állcsontregisztráláshoz.” „A zebris Tizian JMA Optic állcsontregisztrációs rendszere kombinálva az új Tizian-Function-Pro-2.0 szoftverrel az optimális belépés a digitális praxis világába” hangsúlyozza Michael Stock (a Schütz Dental értékesítési vezetője). „Ma elvárják a páciensek egy modern fogorvosi rendelőtől, hogy alkalmazza a digitalizáció kényelmét, egyedi kezelési terápiával egyesítve.”

A Tizian

Function Pro 2.0 kilenc modulból áll,

és nyereséget hozó előnyei vannak

A felhasználói felület igényes grafikai kialakításán és a használat optimalizálásán kívül a Schütz Dental az új Tizian Function Pro 2.0 szoftverrel új modulokat és a beváltak kiegészí-

tését is kínálja ügyfeleinek. Nagy hozzáadott értéket képvisel az intraorális és arcszkennelések integrációja.

ÚJ: a „Digitális Okklúzió-elemző” modul bevezet a digitális okklúzió világába:

• valós adatok ábrázolása a LIVE-Okklusion-nal

• az okklúzió érintkezési felületeinek ábrázolása

• az okklúzió megváltoztatása a valós mozgásokkal

• a harapási összefüggések terápiás elemzése és meghatározása

• az artikulációs értékek kiadása a rágóanalízishez

• jelentés a fogorvosi praxis törvényszéki védelméhez

ÚJ: a „Cerec Artikulator” modul: csatlakozási pontot létesít a Cerec-felhasználóknak:

• klasszikus artikulátormérés

• az egyéni mozgáspályák alkalmazása (valós mozgás nélkül)

• az okkluzális fedésű elhorgonyzások szoftverbe illesztése a méréshez

• Cerec-artikulator-Report készítése

• az arcbeolvasás adatainak befűzése

ÚJ: a „CMD Fact Interactor”

• a CMDtrace funkciós szoftver (dr. Oliver Ahlers) egyeztetése

Kiegészítve: az „Artikulator” modul videófelvevő és egyszerűsített adattovábbító funkcióval

• további CAD/CAM csatlakozási helyek

• mozgási és pozícióadatok, valamint a gyakori artikulátortípusok és ROM-paraméterek beállítási értékeinek exportálása

• a virtuális artikulátor és a létrehozott XML-szoftver-adatok egyidejű programozása

• eredmény: komplett digitálisan beartikulált minta a virtuális artikulátorban

Kiegészítve: az „Elektronikus Pozíció-elemző (EPA)” modul

• az állkapocsízület különböző kondiluszpozícióinak elemzése és összehasonlítása, az alsó állcsont ebből eredő helyzetének elemzésével

ÚJ: CSV-nyers-adat-export

• a mozgás- és pozícióinformációk nyers adatként exportálása, a zebris Medical egy harmadik rendszerében történő statikus kiértékeléséhez és további megmunkálásához

• a videókészítés új lehetősége kedvezőbbé teszi a rendelő és labor közötti adatcserét, és az optimalizált kommunikáció alapját képezi

ÚJ: Quicksupport – a Zebris TeamViewer Quicksupport installálása

Új kiegészítésként a rendszereket a fogorvosnak az eddigi T-mutatópálca helyett C-ívvel szállítják. További technikai javítás a stabil kábelmentes WLAN-összekötés lehetőségének kihasználása a 3D állcsontregisztrációs rendszerben.

„Felhasználótól felhasználónak” – szól a Schütz Dental jelmondata. Az ügyfelek és a zebris-felhasználók kívánságai és követelményei álltak a középpontban az új szoftver kifejlesztésénél, amelynek kialakítása a cég szakértőinek szoros egyetértésével történt.

„A fogorvosok támogatására rendelőjükben a 3D állcsontregisztrációs folyamat során rövid részletekből álló videókat forgattunk, és ezeket a YouTube-on is felajánljuk webinár-tanfolyamaink részeként” magyarázza Wolfgang Brunner (a Zebris Medical ügyvezető igazgatója). Például a lehetséges segédeszközök egyikét kipróbálhatjuk: youtu.be/XAoE-B4h_bg

A cég webináriumokat ajánl a Tizian JMA Optic by zebris vásárlóinak és felhasználóinak. Időpontok: zebris.de

A Tizian JMA Optic by zebris állcsontregisztrációs rendszer mely előnyeit emelné ki?

„Állcsontregisztrációra irányuló praxis-koncepciónk a Tizian JMA Optic by zebris-en alapul, amely sokkal pontosabb más rendszereknél. Ezzel a rendszerrel jobban megragadhatjuk a páciens funkcióit, mint egy

QUICKSUPPORT – a zebris TeamViewer Quicksupport installálása.

középértékű arcívvel, és mindenekelőtt nagyon jól összeköthetjük az anatómiai variálhatósággal. Számunkra fontos a harapási helyzetek megváltoztatásának célzott kivitelezése.

A harapás változtatására nagyon jó tapasztalatokat gyűjtöttünk a sínterápiával. Két koronától kezdve minden restauráció mérését az adatok szoftverbe történő integrálásával végezzük, így nagy biztonsággal tervezhetjük és kivitelezhetjük azokat. Különösen sikeresen alkalmazzuk interdiszciplináris hálózatunkat, főleg a fizioterápia területén. Másfél éve lelkes felhasználója vagyok a Tizian JMA Optic by zebris rendszernek, amely számomra az egységes fogászati medicina alapját képezi”.

A Tizian JMA Optic by zebris állcsontregisztrációs rendszer mely előnyeit emelné ki?

„Egészen világosan megmutatkoznak előnyei a fogpótlás előre kiszámítható tervezésében. Gyakorló fogtechnikusként esélyem van arra, hogy precíz ideigleneseket készítsek, amelyek tükröződnek majd később a végleges pótlásban. Ez nem csak funkcionális, hanem esztétikai vonatkozásban is érvényesül. Ezért illesztettük be a témát laborkoncepciónkba, ezt a költségkötött alternatívát kínálva fogorvosainknak, a páciensek közösen végzett állcsontregisztráció-méréséhez a Tizian JMA Optic by zebris rendszerrel. Állandó törekvésünk a fogpótlást optimális harapási helyzetben kivitelezni, a fogorvos számára a dokumentálás – és ezzel a törvényi védelem – lehetőségét is nyújtva.

Forrás: DZW 2021/7

Dr. Silke Raitarowsky, Bad Homburg Sascha Ziga, ONEdental, Dorsten

Yuki Momma, Weston (USA); Dr. William C. Heggerick, Weston (USA)

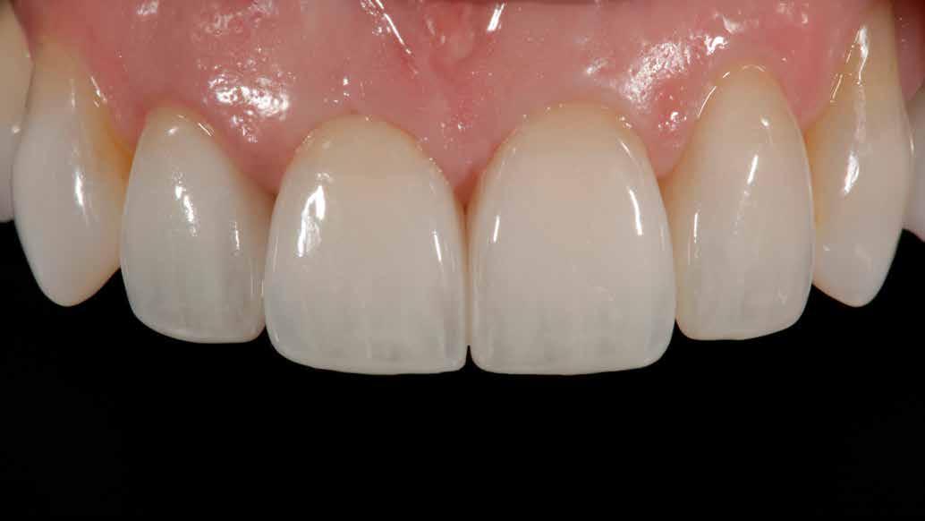
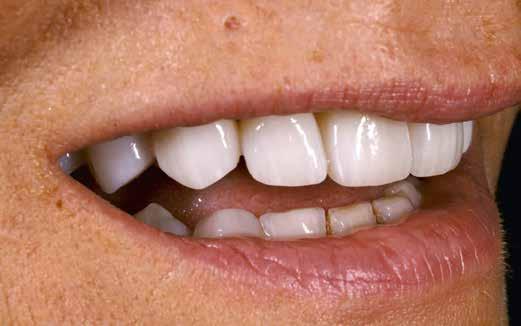
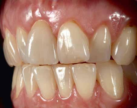
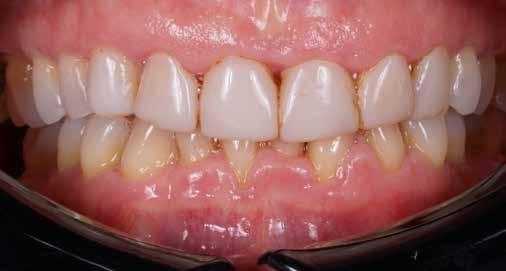
ESZTÉTIKUS HARMÓNIA AZ IPS E.MAX ZIRCAD PRIME SEGÍTSÉGÉVEL

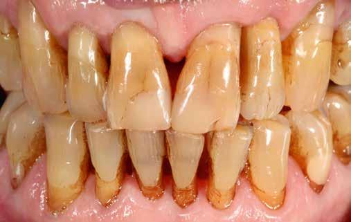
Elhagyott frontfogak, megtámadott parodoncium: a páciens kiindulási helyzete több mint nehéznek bizonyult. Yuki Momma és dr. William C. Heggerick, szerzőink, bemutatják, hogyan állítható helyre a harmónia a négy frontfog ellátásával.

A felső frontfogak állapota elhanyagolt, a parodontális struktúrák részben erősen károsodottak, VMK korona az 12 zónában, az ínyszél szürke, fekete approximális háromszögek… vörös-fehér esztétikáról nem is beszélhetünk (1. kép). Így jelentkezett a hölgypáciens a Weston Dental Specialists Group rendelőben. Elvárásai magasak voltak. A defektusok kezelését, a gingiva lefutásának korrigálását kívánta. Gyorsan világossá vált, hogy a megoldást csak a négy frontfog teljes kerámiakoronával való ellátása jelentheti. A jelen eset bemutatja, hogy az IPS e.max ZirCAD Prime segítségével hogyan lehet tiszta, tetszetős és esztétikus mosolyt létrehozni.

1. kép: Kiindulási helyzet.

A kialakítás tervezése

A páciens aggodalmas volt, hogy ne kapjon túl nagy és szögletes koronákat. A vele folytatott megbeszélések során viaszmintázat, majd annak alapján kulcs készült a mock-uphoz. Ennek segítségével az újonnan készülő pótlás formáját közösen, egyértelműen határozhattuk meg (2. kép).

Anyagválasztás

A koronákat IPS e.max ZirCAD Prime (Ivoclar Vivadent) anyagból martuk ki. E cirkónium-dioxid korongok előállítása Gradient Technology (GT) segítségével történik, az alap-

anyag egyidejűleg nagy szilárdságú és transzlucens is. Ez több szempontból előnyös: először is adott a jó stabilitás – a biaxális hajlítószilárdság 1200 Mpa, a törési szilárdság nagyobb 5 Mpa m1/2-nál. Ezzel hosszú élettartamú koronák és nagy fesztávolságú hidak készítésére is alkalmas. Ugyanakkor a kerámia teljesen fokozatmentes színátmenettel és nagyfokú transzlucenciával is rendelkezik, így bevethető a magas esztétikájú frontpótlások területén is. A megoldandó esettől függően teljes, részben vagy egészen leplezett formában is alkalmazható, akár egy pótláson belül kombinálva. Ezáltal az IPS e.max ZirCAD Prime valóban „One-Disc-Solution” (egy korong mindenre megoldás – a ford.), amelynek előnyeit maximálisan kihasználhatjuk minden páciens számára. Ebben az esetben enyhén redukált koronavázakat alakítottunk ki, amelyet az IPS e.max ZirCAD Colouring Liquids, az IPS e.max Ceram leplezőrendszere, valamint festék- és glazúrkészlete segítségével egészítettünk ki (3–7. képek).

Fogszínre fókuszálás

A fogforma mellett a szín a páciens számára legfontosabb kritérium a szép fogak megjelenítéséhez. Az egészséges fogazatban a felső nagymetszők tetszenek a legvilágosabbnak.

A bemutatott esetben a hölgy nagymetszői mégis sötétnek, foltosnak látszottak. A természetes fogaknál egy koronán belül is különböző világossági értékek mutatkoznak. Ennek

2. kép: Mock-up.

3. kép: Enyhén redukált anatómiájú koronák IPS e.max ZirCAD Prime anyagból – infiltrációs folyadékkal enyhén színezve a nyaki területen

5. kép: Egyedi esztétika kialakítása IPS e.max Ceram leplezőanyaggal.

7. kép: A befejezett IPS e.max ZirCAD Prime koronák a mintán.

oka a zománcvastagság változása cervikáltól incizál felé. A dentin, amely erőteljesebb színtelítettségű, mint a zománc, változó erősséggel tűnik át a háttérből, és tipikus karaktert kölcsönöz a fognak. Az 12-es fogon látható VMK korona (fémkerámia – a ford.) nem felelt meg ezeknek a követelményeknek, és élettelen testként tűnt fel a front megjelenésében. A 8. kép az IPS e.max ZirCAD Prime koronák próbájánál készült. Jól látható, hogy a folyamatos szín- és transzlucencia átmenet ideálisan imitálja a természetes fogakét, és plasztikus benyomást kelt. Az egyedi jellegzetességek, mint

4. kép: A szinterezett koronák a mintán.

6. kép: Az első égetés köztes eredménye.

8. kép: A próba.

a mamelonok és a kiemelt zománcrepedések élettelibbé teszik a koronákat.

Gingivára fókuszálás

A gingiva kontúr lefutása szintén fontos az esztétikus megjelenés szempontjából. A teljesen szimmetrikus restaurációk általában természetellenesen hatnak, az árkádok itt látható enyhe aszimmetriája természetes hatást

9. kép: A végleges beragasztás.

10. kép: Végeredmény: esztétikus, természetes, szép.

keltett. Az egyébként ideális tipikus formájú koronák esztétikailag optimális gingivakialakítást hoznak létre, a VMK korona kicserélése egyenletes fénytovábbítást tett lehetővé a papilláktól a korona felé és fordítva is. Míg a próba során még minimális sötét approximális háromszögek láthatók voltak, a végleges beragasztásra (Variolink Esthetic, Ivoclar Vivadent) már eltűntek (9. kép). A gingiva tökéletesen hozzásimult az IPS e.max ZirCAD Prime restaurációhoz.

Összefoglalás

Anyagválasztásunk újra tökéletesnek bizonyult. Kiemelkedő természetes hatása folytán akár leplezetlen IPS e.max ZirCAD Prime anyaggal is nagyon jó esztétikai hatású monolit restaurációk készíthetők. Itt az optimális alapot képezte, hogy leplező- és festékanyagainkkal elérhessük a kívánt hatást: hibátlan mosolyt és természetes szépséget. A páciens nagyon elégedett a kezelés eredményével – akárcsak mi magunk (10. kép).

HÍDMEGOSZTÁSOK FINOMMECHANIKAI ÖSSZEKÖTŐ ELEMEKKEL

Osztott hidat akkor készítünk, ha a pillérfogak vagy implantátumok egyértelműen eltérő állásúak egymáshoz képest. Az első részben Klaus Ohlendorf az indikációkat és az eljárásokat ismerteti.

A hídba épített összekötő elem feszülésmentesen kiegyenlíti a pillérfogak tengelyeltérését, és lehetővé teszi in situ merev hídkonstrukció elkészítését (1. kép).

A precíziós elhorgonyzású, összekötő elemeket tartalmazó fogpótlás előnyei kitűnnek a nem párhuzamos pillérek megoldásában, a rágóerő statikusan előnyös elosztásában és a kedvező esztétikai hatásban. Ha megkíséreljük a nagyon eltérő állású pillérfogakat párhuzamosra csiszolni, fennáll a pulpakárosodás veszélye. Ezt finommechanikai összekötő beépítésével kerülhetjük el. Hidak készítése során a csonkok párhuzamosságát úgynevezett kiegyenlítő teleszkópokkal is javíthatjuk.

Az állkapocs statikai különlegességei

Alsó állcsontra készülő, több egymás melletti köztes tagot tartalmazó hídkonstrukciók készítése során ismert az a ve-

szély, hogy az állkapocs transzverzális deformációja1 és a fiziológiai fogmozgathatóság2 emelő hatást gyakorolhat a pillérfogakra. Ha megosztjuk a hidat egy összekötő elemmel, jelentősen csökkenthető az emelő hatás (prof. dr. M. Lehmann).

A hídba épített összekötő elem feszülésmentesen kiegyenlíti a pillérfogak tengelyeltérését.

Hibrid rögzítésű osztott híd készítése rágóterületen

A hibrid protetikában, tehát olyan hidaknál, amelyek fiziológiás (mozgatható) és ankilotikus (merev) pillérekkel is rendelkeznek, statikailag ugyancsak előnyös lehet osztott híd alkalmazása (2–3. képek). Az implantátumfelépítmények kiválasztása és megmunkálása során a fogtechnikus természetesen befolyásolhatja a behelyezhetőséget szögtört fejek alkalmazásával.

1. ábra: Összekötő elem nélkül nem hidalható át a csonkok konvergenciája. Precíziós osztó-csúsztató alkalmazásával a híd –osztottsága ellenére – in situ merev. Ha az érintkező felületeken van némi mozgathatóság, megmarad a hídpillérek egyedi mozgathatósága is (Prof. Dr. M. Lehmann)

2–3. képek: Hídkonstrukció hibrid rögzítése, pl. párhuzamos, intrakoronális csúsztatóval. A köztes tag lengőtagként tervezhető a maximális higiénia érdekében.

Hibridrögzítésnek a fiziológiás és ankilotikus pillérek együttesére készült híd beragasztását hívjuk.

Az összekötő elemek hátrányai

A hídösszekötő elemek hátrányai közé kell sorolnunk, hogy a páciens számára szinte lehetetlen a mikrorések tisztítása. Ráadásul az indikáció esztétikai és fonetikai szempontok alapján alapvetően csak a rágóterületre korlátozódik, a fronton legtöbbször csekély a szagittális helykínálat (4-7. képek)

Összekötési módozatok fogcsonkokra és implantátumfelépítményekre készülő hidak esetén

A protetikai tervezés több összekötési módozatot ismer:

• oldhatatlan kapcsolat ragasztott hidakhoz (végleges beragasztás)

• időszakosan oldható kapcsolat kiegészítő csavarrögzítésű hídrészekhez (pl. hídtagok), amelyet a kezelőorvos tud oldani

A finommechanikai összekötő elemek indikációja

1. A hídrészek divergens vagy konvergens (párhuzamostól eltérő) behelyezési irányt mutatnak. A szájban ezek az összekötő segítségével mégis szilárdan rögzíthetők egymáshoz.

2. a Nagy fesztávolságú hidak több, kisebb részletben készítése, amelyeket csak a szájban illesztenek össze. A rövidebb hídszegmensek jobban illeszkednek a csonkra, mint a nagy fesztávolságúak. A beragasztás előtti

csonkszárítás is egyszerűbb ilyen konstrukcióknál, ami szintén előnyös.

2. b Nagy hidaknál erőtörés céljából, az állkapocs, vagy az egyes pillérek fiziológiai mozgathatóságának ellensúlyozására (erőtörő-csúsztató).

3. a előretekintő tervezés Bizonyos esetekben várható a híd kiegészítése, átépítése.

3. b Disztális pillér eltávolítása várható a későbbiekben. A poszterior hídszegmens összekötő eleme lehetővé teszi az eltávolítást követően a kivehető pótlás illeszkedő kialakítását.

A finommechanikai hídösszekötő elemek felosztása a gyártás szerint

A finommechanikai összekötő elemeket gyárilag, vagy egyedileg készíthetjük.

Gyári készítésű elemek

Precizitásukat tekintve általában felülmúlják az egyedi készítésű elemeket. Anyagtulajdonságuk – szilárdság, keménység, dörzsölésállóság, felületi simaság és biokompatibilitás – azonos, vagy jobb minőségű.

Gyári hídosztó elemek készítése

A fémelemeket gépi gyártással, gyárakban készítik, precíziós szabályozású forgácsoló, maró, fúró és esztergáló automatákkal. A szűk toleranciájú gyártástechnikával létrehozott párhuzamosság (pl. 1/100 mm) miatt meghatározott a tartóerejük, precíziós illeszkedésűnek is nevezik őket. A kúpos elhorgonyzó elemek nem tartoznak a csúsztatókhoz. Ezeket záraknak-reteszeknek hívjuk.

A párhuzamos falú és a kónuszos osztó elemeket is egy pátrix-mátrix páros alkotja. A párhuzamos falú megoldások tartóereje gyakran a súrlódáson alapul. Formájuk leggyakrabban T, fecskefarok, cső, vagy rúd. Beépítésük extra-, vagy intrakoronális.

1. Nagy kiterjedésű hidak megosztása az állkapcson a transzverzális deformáció miatt különösen célszerű, főleg, ha több köztes tag van egymás mellett. Prof. Dr. Dipl.-Ing. Ernst-Jürgen Richter vizsgálatai alapján a szemközti molárisok között akár 350 mikronos transzverzális vertikális elmozdulás is előfordulhat.

2. Rágóterhelésre egészséges parodonciummal rendelkező fogak is jelentős elmozdulással reagálhatnak különböző irányokba. A gyökércsúcs felé (intrúzió), de labiális-bukkális, vagy lingvális irányba is mozoghatnak. E mozgások csak nagyon korlátozott mértékben fiziológiásak, és nem károsítják a parodonciumot. Ha nagy fesztávolságú merev hidak vannak a szájban, hiányzik a fog tartószerkezetére ható fiziológiailag ingerlő hatás, ami inaktivitásból eredő atrófiához vezethet. A molárisok rágóterhelése általában meziális eltoláshoz vezet.

4–7. ábrák: Egy mestervizsga feladat: egyedi Schröder-csap készítése rágóterületen, horizontális csavarozással. A köztes tag nem tudja befogadni az osztó elemet anélkül, hogy kiterjesztenénk az érzékeny palatinális területen. A 22 fog túlzottan feltűnő megnagyobbítását elkerülendő a vizsgázó az összes frontfog palatinális felületét megnövelte. Sajnos így a funkcionális kialakítás áldozatul esett. Kérdéses a ferde felülettel kialakított osztó csekély magassága miatti stabilitás is. Csavarozás nélkül a kihívás már túl nagy lenne. A mindennapi gyakorlatban a frontterületen nem alkalmazhatók optimálisan egyedi osztások.

8–10. képek: Rúdcsúsztató részek: mátrix, pátrix és a teljes, nem aktiválható rúdcsúsztató nem oxidálódó ötvözetből (HSL), nemesfém ráöntéshez. A felhasznált ötvözet öntési hőmérséklete legyen jelentősen 14 000 °C alatt. (Ez a HSL-elem szoliduszpontja.) A kerámiamaszsza nem érintkezhet a HSL-elemmel az eltérő hőtágulási együttható miatt, különben terhelés hatására repedés, törés következhet be. A HSL ötvözet összetétele: kb. 60% arany, kb. 19% platina, kb. 20% palládium, kb. 1% iridium.

A kúpos elhorgonyzó elemek nem tartoznak a csúsztatókhoz. Ezeket záraknak-reteszeknek hívjuk.

A gyári precíziós összekötő elemek alapanyagai

A pátrix és mátrix különböző anyagokból, illetve ezek kombinációjából is készülhet, akár részlegesen legyártva is:

1. HSL-ötvözetből, forrasztható, vagy ráönthető variációban (kész elem) (HSL=magas olvadási intervallumú ötvözet PtIr ötvözőkkel) (8–10. képek)

2. tiszta fémből, pl. titánból (11. kép), amely beragasztható, vagy lézerhegeszthető

3. viaszelemként, a laborban megönthetőre

4. műanyag és HSL-mátrix kombinációjaként

5. kerámia pátrix (a kerámia helyfenntartót beágyazzuk – a köré mintázott mátrixot megöntjük –, majd kibontás után homokfúvással eltávolítjuk)

6. maradék nélkül kiégethető műanyagból részben elkészített csúsztatóként, amelyet a laborban fémből valósítunk majd meg (12. kép)

7. különböző formák készíthetők szikraforgácsolással is (gyári és laboratóriumi készítés is)

11. kép: Trapéz formájú tiszta fém (pl. titán) csúsztató

Csak természetesen

Fogászat és esztétika

A fogpótlások elkészítése mindig összetett feladatnak számított. Szakmai szempontok az elsődlegesek: stabilitás, funkció, illeszkedés, biológiai és kémiai megfelelőség. A fogorvos és a fogtechnikus is törekszik munkája során, hogy legjobb tudását, széleskörű ismereteit a lehető leghasználhatóbb, a páciens számára sikert garantáló formában építse be az elkészülő fogműbe. Tervezés, kivitelezés csakis akkor lehet sikeres, ha mindketten jól képzettek és felkészültek a szakmai munkában.

És mit észlel első sorban a páciens, a beteg? Az esztétikai megjelenést. Sőt, ma már gyakran azért megy a páciens a fogorvoshoz, hogy változtassa meg mosolyát. Nem azért, mert fáj a foga, vagy laikus szemmel is látható defektusai lennének. Mindannyian érezhetjük – fogorvos, asszisztens, fogtechnikus és páciens –, hogy nehezen megfogható, szakmai nyelvezettel nem minden esetben definiálható területről van szó. Az „esztétikus” mást jelent mindanynyiunk számára, még akkor is, ha látszólag egyről beszélünk. A páciens esetleg hófehér, szabályos fogakat ért alatta. A kezelőorvos hibátlan, korhoz illő megjelenést. A fogtechnikus természetes, a páciens típusára, korábbi megjelenésére jellemző fogakat készítene. Igazán jó, természetes, esztétikus restaurációt készíteni nem csak szakma – művészet is.

E könyv megismertet minket olyan emberekkel, akik technikai felszerelést, technológiát és kézügyességet ötvözve kifejezésre tudják juttatni művészi érzéküket. Mindannyiunk, a páciens, a kezelő-csapat és a fogtechnikus számára is érzékelhetően. Végül is ez a cél. Forgassák bizalommal, és ügyeljenek a részletekre.

Hasznos időtöltést kíván a szerkesztő: Hajdu Zoltán Technikai információk: méret: A4 • terjedelem: 291 oldal • kötés: keménytáblás • nyomás: színes, ofszet

Vizsga - sokaknak idegeskedést, félelmet, önbizalomhiányt okoz a szó. Nem egyszerű megfelelni mások elvárásainak, különösen, ha megítélésüktől sok függ későbbi életünkben.

Tovább bonyolódik a helyzet, ha gyakorlati vizsgáról van szó. Itt már a kézügyesség is számít, nem csak a megjelenés, a tudás – be kell bizonyítanunk, képesek vagyunk adott folyamatok elvégzésére. Mindezt idegen helyen, új, számunkra barátságtalan eszközökkel, többedmagunkkal, meghatározott időre... Könnyen belátható, miért remeg egy-egy vizsgázó keze.

A fogtechnika, mint hivatás, különlegesen összetett. Sokoldalú, több más szakmát felölelő ismeret együttesére van szükség – elméletben és gyakorlatban egyaránt.

A szerzők képzettségük és tapasztalataik alapján ismerik mind a szakmai, mind az emberi oldal nehézségeit, buktatóit. Könyvük célja a -segítségnyújtás. A cím - ,,Átrágtuk” - jól jellemzi hozzáállásukat: lelkiismeretesen, értelmezve, bemutatva.

Rendszerezett, intenzív előkészületeket biztosítanak. Bemutatják az adott munkafolyamatokat, lépésről lépésre. Szöveggel és képpel is bizonyítják számtalan vizsga rengeteg diákjának ismeretét, megfigyelését.

Megmutatják, előre jelzik, hol várható probléma - s segítenek azt már előre elkerülni. Felsorolják, és a gyakorlatban is demonstrálják, hogyan, mit kell csinálni, mire kell felkészülni -· sőt, a végeredmény objektív bemutatása bizonyosságot ad a felhasználóknak gyakorlás közben.

Kitérnek nem csak a feladatokra - még a szerszámok, anyagok, eszközök összeállításában is segédkezet nyújtanak.

A könyv kihagyhatatlan segédeszköz minden leendő és gyakorló fogtechnikus számára - bepillantást nyújt a német szakmai vizsga anyagába, minőségébe is. A briliáns képek és utalások még az esetleg hozzá nem értők számára is egyértelműek. Forgassuk minél többen, minél többet!

Hasznos olvasást és jó szórakozást kíván a szerkesztő: Hajdu Zoltán Technikai információk: méret: B5 • terjedelem: 160 oldal • kötés: keménytáblás • nyomás: színes, ofszet

Hajdu Zoltán

12. kép: Osztócsúsztató kiégethető műanyagból – párhuzamos vagy kúpos kialakítással, integrált behelyezővel

13–14. képek: Nagy precizitású CAD/CAM gyártású extrakoronális zirkónium-dioxid Schröder-csap. A szerző előtt nem ismeretesek ilyen megoldások terhelése kapcsán készített vizsgálatok.

A gyári elemek intrakoronális

felhasználásának előnyei és hátrányai

Előnyök

1. A rágóerő lehető legjobb tengelyirányú átadása a parodonciumra (15-16. képek)

2. Kedvező parodontális tisztíthatóság az interproximális terület szabadon tartása miatt

3. Nem várható parodontális probléma, mert az öszszekötő nem az íny területén van, hanem integrálódik a koronába

Hátrányok

1. A foganyag nagymértékű feláldozása, így a fronton legtöbbször nem megoldható

2. Csekély méret – az extrakoronálishoz képest gyakran kisebb stabilitást eredményez

A gyári elemek extrakoronális

felhasználásának előnyei

és hátrányai

Előnyök

1. nagymértékű kiterjesztés és statikai ellenállóság a koronán kívül, az állcsontgerinc területén

2. megfelelő formai kialakítás esetén egyszerű tisztíthatóság az interdentális és bazális felületeken

Hátrányok a tengelyirányú erőtovábbítás nem olyan kedvező, mint intrakoronális megoldásnál

A második részben a stratégiai és gyártástechnikai követelményekről lesz szó.

Forrás: Das Dental Labor 2023/5

8. teljes kerámia csúsztató-elemek készítése CAD/CAM technológiával (13–14. képek) (gyári és laboratóriumi készítés)

15–16. képek: Gyári intrakoronális T-csúsztató ritkán helyezhető el a rágóterületen hátrányos foganatómiai változtatások nélkül. A gyári intrakoronális csúsztatók higiéniai megítélése kedvező (Weber és Setz, 2011). Ugyanakkor a gracilis pátrix miatt csökken a mechanikai ellenállóság.

All in a GC-vel:

TELJES SZÁJRESTAURÁCIÓ

A-TÓL Z-IG

A megbízható márkákra való támaszkodás számos előnnyel jár a labor zökkenőmentes működése tekintetében. Ez azt jelenti, hogy ismerni kell a termékeket és meg kell tapasztalni az értéküket a tényleges munka során. A legnagyobb kihívás a teljes száj rehabilitációja és az elvesztett funkciók helyreállítása, a komfort biztosítása, miközben természetes esztétikai megjelenést biztosítunk, amely minden betegtípusnál (alak, méret, életkor stb.) személyre szabott.

A GC teljes választéka, az ideiglenes fogaktól a végső kerámia restaurációkig, tökéletesen kiegészítik egymást. Ennek köszönhetően felesleges lépéseket hagyhatunk ki a folyamatból, hogy egyszerűsítsük a kezelésünket, mert ugyanazt a munkamódszert használhatjuk a teljes termékcsaládban. Így könnyen, az adott esettől függően, kifejezetten az Ön által keresett előnyökre összpontosíthat.

Az OPTIGLAZE Color anyaggal karakterizált ideiglenes restaurációktól kezdve a természetes opaleszcenciával rendelkező Initial LiSi blokkok kiválasztásáig és végül a teljes Initial IQ ONE SQIN rendszerig (Lustre Pastes, Spectrum Stains és SQIN kerámia): A következő eset bizonyítja a szinergiákban rejlő nagy potenciált, amely a leghatékonyabb módon kielégítő eredményt biztosít.

Egy 52 éves nő kereste fel dr. Tomasella rendelőjét, aki aggodalmát fejezte ki fogai esztétikájával kapcsolatban, és azt kérte, hogy a lehető legrövidebb időn belül, fogszabályozás nélkül, radikálisan változtasson fogain. Fogait nem megfelelő esztétikai színvonalú, aránytalan méretű kompozit restaurációkkal állították helyre. A mosoly íve szabálytalan volt (1–2. ábra).

Ideiglenes teljes fogíves

PMMA restaurációk

A fogorvos preparálta a fogakat 16-tól 26-ig és 36-tól 46ig a jövőbeni egyedi koronákhoz. Miután minden összegyűjtött információt megkaptam, az ideiglenes restaurá-

ciókat két híd formájában készítettem el; A restaurációkat összekapcsoltam, hogy megkönnyítsem a klinikán történő behelyezést és retenciót. A hidak PMMA-ból készültek (3., 4. ábra), és OPTIGLAZE Color lakkal lettek karakterizálva (5. ábra).

Az OPTIGLAZE lakkot minden fogra felvittük: B Plus-t a cervikális és a középső területen, levendulát és kéket az incizális zónában, narancsot pedig az interproximális zónában. Különösen az ilyen típusú összetett esetekben ezek az ideiglenes restaurációk fontosak a vizsgálat formájának, méretének, arányainak, okklúziójának, funkcionalitásának és esztétikájának megtekintéséhez és értékeléséhez (6-8. ábra).

Egyedi lítium-diszilikát kerámia koronák

Miután az esztétikát, az alakot, az arányokat és az okklúziót ellenőriztem és kiigazítottam, a restaurációkat 24 darab A1 LT árnyalatú Initial LiSi blokkból martam ki (9. és 10. ábra). A 14-24 és a 34-44 között egy kis, 0,2-0,3 mm-es vesztibuláris redukciót végeztem; a hátsó koronákat teljesen monolitikusan hagytam. Az A1 LT (alacsony transzlucencia) árnyalatot azért választottam, mert az összes restauráció teljes korona volt; a magas transzlucencia ebben az esetben a világosság elvesztéséhez vezethetett volna, ami a koronák szürkésebb megjelenését eredményezi.

1. és 2. ábra: Kiinduló helyzet.

– 8. ábra: OPTIGLAZE Colorral (GC) karakterizált ideiglenes restaurációk a szájban.

9. és 10. ábra: A lítium-diszilikát CAD/CAM blokkokból (Initial LiSi Block, GC) maratott koronák a karakterizálás előtt. SZUPER TIPP: 0,1-0,3 mm-es vékony héjak esetén használhatunk HT-t (magas transzlucencia; feltéve, hogy a szubsztrátum kedvező), és rendkívül esztétikus eredményeket érhetünk el egyszerű festéssel, de ha a héj teljes restaurációs vastagsága meghaladja a 0,6 mm-t és zománccal van bevonva, akkor a világosság csökken, és szürkének tűnik a szájban, ha az alatta lévő kerámia túl transzlucens.

Mivel teljes rehabilitációról és kedvező szubsztrátumról van szó, a cut-back és a mikro-rétegezés mellett döntöttem, amely az Initial IQ Lustre Pastes ONE, az Initial Spectrum Stains és az Initial IQ SQIN kerámiák – a „ONE SQIN” koncepció (GC) – kombinációjának köszönhetően természetes esztétikát biztosít.

A Lustre Paste és a Spectrum Stains felviteléhez a fogakat 3 alapvető zónára osztjuk: cervikális, középső és incizális zóna. A karakterizálás megkezdése előtt minden koronát vékony réteg L-NFL (Neutral Fluorescent) festékkel fedtem be. Ezután L-B + L-NFL keverékét al -

3. és 4. ábra: Teljes fogíves, ideiglenes PMMA restaurációk.
5. ábra: OPTIGLAZE Color (GC)
7. ábra: Teljes fogíves, ideiglenes PMMA restaurációk.
6. ábra: Teljes fogíves, ideiglenes PMMA restaurációk

11. ábra: Koronák az Initial IQ Lustre Pastes ONE és az Initial Spectrum Stains (GC) applikálása és égetése után. Az első égetés során kerül a fluoreszcencia és a szín hozzáadásra, és egyben összekötő égetésként is szolgál.

SZUPER TIPP: Az Initial LiSi blokk természetes opaleszcenciát mutat; Ezért a halo-effektus a szerkezet 45°-os állításával hozható létre. Abban az esetben, ha a halo-t egy kicsit tovább kell fokozni, használjon SPS-4-et (Light Terracotta).

12. és 13. ábra: Koronák az Initial IQ SQIN kerámia (GC) applikálása és égetése után. Szuper tipp: A világosságvesztés elkerülése érdekében fontos a zománc vastagságának ellenőrzése, és hogy ne lépje túl. A CAD-tervezés vesztibuláris redukciójának figyelembevételével elkerülhető, hogy a restauráció szürkés színű legyen.

14. ábra: A végleges felület mikrotextúrája, amely ehhez a pácienshez illik.

kalmaztam a centrális és a felső kismetszőfogakra, hogy a cervikális zónában finom kromatikus hatást érjek el. A szemfogakra tiszta L-B-t alkalmaztam, hogy a természetes fogakhoz hasonlóan a metszőfogaknál kicsit több krómát adjak nekik.

A középső területen érdekes a fénytörési hatás létrehozása. Ezen célból a metszőfogakra L-V (Value) és L-1 (Enamel

Effect 1: Vanilla) keverékét alkalmaztam, „övet” hozva létre a cervikális és az incizális területek között.

Végül az incizális területen létrehozunk egy „transzlucens zónát” (fényelnyelő perem) L-3 (Enamel Effect 3: Light Grey) + L-6 (Enamel Effect 6: Dark Blue) + SPS-18 (Illusion 1) + L-10 (Enamel Effect 10: Twilight) és a mamelonok L-V + L-1 + L-B + SPS-4 (Light Terracotta) keveréke.

Az Initial Lustre Pastes ONE (11. ábra) égetése után az anterior fogakat (a második premolárisig) nagyon alacsony nyomáson (0,8-1 bar) 10 cm-es távolságban enyhén homokfúvással kezeltem, hogy eltávolítsam a fényességet, és mikromechanikai retenciót hozzak létre a következő SQIN kerámiaréteg számára. A cervikális zónában Body-B + Enamel E-58, a meziális és disztális széleken Translucent TO (Opal Booster) került alkalmazásra. GUM Neutral (színtelen és további fluoreszcenciát nem tartalmaz) és Enamel E-58-at alkalmaztam az élek közötti incizális területeken, összemosva a zónákat. A morfológiát a nedves fázisban hoztam létre; a „Form & Texture Liquid” a kerámia plaszticitását biztosítja, hogy ecsettel könnyen modellezhető legyen. A restaurációkat Panther gumipolírozóval (Sirius Ceramics) finíroztam.

Konklúzió

A legfontosabb tényező a stabilitás, a kontroll, a reprodukálhatóság, az idő és az esztétika:

Az anyag stabilitása azt jelenti, hogy az anyagnak gyakorlatilag nincs zsugorodása. A korona egyetlen kerámiaapplikálással elkészíthető.

A vizuális kontroll a különböző effektek alkalmazásával egyidejűleg van jelen: „azt kapod, amit látsz”.

Reprodukálható, mivel „lépésről lépésre” munkaprotokoll hozható létre, ahol a hibalehetőségek száma exponenciálisan csökken. Az idő drasztikusan csökken ennek a technikának és protokollnak a használatával.

15. és 16. ábra: A végeredmény a szájban.

Az esztétika az, amit minden fogtechnikus keres, és a természetes hatást az Initial LiSi Block opálos hatásának, az

Initial IQ Lustre Pastes ONE 3D hatásának az Initial Spectrum

Stains termékkel kombinálva és az Initial IQ SQIN kerámiafedésének köszönhetően közelíti meg.

Ez az eset azt mutatja, hogy a megfelelő anyagokkal és a megfelelő protokollal milyen könnyen helyre lehet állítani egy teljes fogívet. Az eredmény egy teljesen

funkcionális és esztétikus, természetes megjelenésű munka.

A páciens nagyon elégedett volt az eredménnyel, és izgatottan várta, hogy először láthassa magát. Fogtechnikusként nagyon nagy a felelősségünk. Nemcsak az esztétikáról van szó, hanem a páciens egészségéről és jólétéről is.

Ezt teszi lehetővé az „All in a GC-vel”!

Első megjelenés: GC Get Connected 2023 szeptember

17. ábra: A kezelés előtti és utáni állapot összehasonlítása.

IQ ONE SQIN

Festhető szín-és-forma kerámia rendszer

Végtelen színárnyalatok

A Spectrum Stains összekeverhető a Lustre Pastes vagy SQIN anyaggal

Fény és felület

A SQIN létrehozza a végső formát és felszínt, önfényező hatással

A legsokoldalúbb festhető kerámia

A Lustre Pastes színt és fluoreszcenciát biztosít, és köztes felszínként funkcionál a SQIN-nel használva

GC EUROPE N.V. info.hungary@gc.dental https://www.gc.dental/europe/hu-HU

Törekvésünk magja mindig az legyen, hogy a lehető legközelebb kerüljünk

Egy természetes példa egyszerű tanulmányozásából olyan ismereteket ban, és helyreállítják, vagy javítják pácienseink egészségi állapotát. A fog készíthetünk funkcionális és esztétikus implantátum megtámasztású fogpótlást. a tökéletes eredmény felé. Pontosan erre utal

kerüljünk a természethez. Ő rejlik minden megoldásunk részleteiben. nyerhetünk, amelyek megkönnyítik munkamenetünket a laboratóriumemergenciaprofilja, illetve az ehhez hasonló dolgok ismerete nélkül nem fogpótlást. Használjuk tudásunkat, és kormányozzunk egyenesen a cél –utal Leonardo da Vinci idézett mondatában.

Massimiliano Trombin (Németország)

EREDMÉNYEK – DA VINCI GALÉRIÁJA

Az eredménygaléria cikkünkben a szerzőnk legbonyolultabb eseteit mutatja be, amelyeket csak egy fogtechnikus megoldhat. Olyanokat, amelyek során a frontfog vagy gyökere megtartása nem volt lehetséges, így elveszett e természetes ideál.

A páciens számára igen keserű egy fog elvesztése (1. kép). De visszaadhatjuk a reményt ezeknek az embereknek, hála iskolázott pillantásunknak, tudásunknak és az implantátum megtámasztású restaurációnak. Természetesen az implantátum nem olyan, mint a saját természetes fog, de a szükséges kézügyességgel, a természetes példa megfelelő tanulmányozásával olyan eredmény érhető el, ami megközelíti azt. Minden implantátumos munka megkezdésénél fontos a kilépő profil (a gingivában gyógyulási csavarral képzett ínycsatorna ínyfelszíni keresztmetszete – a ford.) olyan kialakítására törekedni, ami az arra kerülő korona számára lehetővé teszi, hogy ne keltsen gyökér nélküli, természetellenes benyomást. Nézzük meg a természetes fog kilépési keresztmetszetét (2–6. képek) – kihúzott fogak redukálásával nyerhetünk könnyen ilyen képet (7–8. képek). Gyorsan felismerhető, e fog kilépő profilja kifejezetten széles, így jelentősen eltér az implantátum csekély keresztmetszetétől (9–10. képek)

További tanulmányt végezhetünk, ha természetes fogakról készült mintáról csiszoljuk le a kilépő profilig a fogat.

Ugyanarra az eredményre jutunk, mint az előbb leírt esetben, a rágóés frontfogak kilépő keresztmetszete szélesebb, mint az implantátumé egy standard fejjel (11–12. képek)

E felismerésekből profitál munkamenetünk is. A „fogászati csomag” ezen értékes információi segítségével kezdünk a munkába: felépítmény-dummyt építünk picodent Majesthetik-Stumpfix anyagból (13–17. képek)

Az implantátum sikeres csontosodását követően a lenyomatból precíz

korrekciók végezhetők (20. kép). Tökéletes alapot kapunk a szkenneléshez, és a cirkonból történő megvalósításhoz. Az emergenciaprofil meg fog felelni a természetes fogénak, ráadásul a cirkon színe az opák ragasztóval együtt tompítja a titán szürke áttűnését az ínyen.

A készülő restaurációhoz elegáns alapot teremtettünk. Ebben az esetben a páciens kismetszője hiányzott. Implantátumos megoldás volt a megfelelő választás. A gyógyulást követően PEEK fejre ideiglenes koronát készítettünk, ez került a páciens szájában rögzítésre (21. kép), előre megformázva az emergenciaprofilt. Ezt a formát egy felépítménymásolattal vettük át, amelyet a praxisban a próba során tovább optimalizáltak. Így utánoztuk a kismetsző természetes kilépő

minta készül a laboratóriumban. A labor-analóg (a technikai implantátum – a ford.) a picodent Majesthetik Gingiimplant ínymaszk anyagával kombinálva ideális alapot nyújt a megfelelő emergenciaprofil kialakításához. Úgy csiszoljuk meg az ínymaszkot, hogy tükrözze egy természetes fog kilépési profilját, amelyre aztán egy fényrekötő műanyaggal kiegészített titánbázist helyezhetünk a leendő felépítmény előtanulmányaként (18–19. képek). Ezt a „dummyt” használjuk tudásunk kézműves megvalósításában villámgyors munkalépésként. Ráadásul könnyen be is tudja próbálni a fogorvos a páciens szájába. A munka e korai stádiumában precíz

profilját, és teremtettük meg az alapot a cirkonfelépítmény kialakításához. A fejre aztán cirkonváz készült – mintha egy természetes fogcsonkra kerülne. A tökéletes felszín okán biztos kézzel értük el célunkat (22. kép).

A rétegzés során aztán nem kellett külön figyelmet fordítani arra, hogy implantátumra dolgozunk (23–24. képek) Ha megnézzük az eredményt a páciens szájában, gyorsan felismerhető, hogy azért annyira feltűnésmentesen illeszkedik a munka, és harmonizál a szomszédos fogakkal, mert az emergenciaprofil és a kilépőprofil egyéni kialakítása sikeres volt (25–28. képek).

Ezeknél az eseteknél hasonlóan jártunk el, mint amit leírtunk, és bizonyossággal értük el a kitűzött célt (29–32. képek)

Ebben az esetben opcionális lehetőség volt a szomszédos fogak között nyilvánvalóan kiszélesedett hiány héjakkal történő kiegyenlítése. Muszáj volt formakialakításunkat a környezethez illeszteni (33. kép). Az approximális érintkezések

határozták meg a munka minimális szélességét, így különleges figyelmet kellett fordítani a zománclécek kialakítására, az optikai csalódás eléréséhez.

A kész munka tanulmányozása során pillantásunk rögtön a zománclécekre esik, amelyek dominanciájuk folytán keskenyebbnek mutatják a fogat, mint amilyen az a valóság-

ban (34. kép). Tökéletes példa a funkció és esztétika közötti egyensúlyra, amelynek során a funkcionalitás nem sorolódik hátrébb, a munka mégis természetes megjelenésű.

A következő esetben nagyon beszűkült az egyedi kialakítás játéktere. Gyári cirkonfelépítményt használtak (35. kép), amelyet a kezelőorvos a páciens szájában egyéniesített. Szerintem nem ideális megoldás – ismereteink felhasználásával mégis olyan eredményt értünk el, ami tökéletesen illeszkedik az összképhez (36–37. képek).

Ebben az esetben a szomszédos fogak megnövekedett távolsága miatt nem volt lehetséges az implantátumot koronával ellátva a kontaktpontokat is kialakítani és még az esztétikai követelményeknek is megfelelni (38. kép).

Mivel egyrészes kerámiaimplantátumról volt szó, a gingivális adottságokat nem tudtuk befolyásolni (39. kép). Döntő volt a szomszédos fogak hibrid héjakkal történő ellátása, hogy javíthassunk a feltételeken. A páciens számára nem sok minden változott, mert a szomszédos

fog már korábban is tömött volt, a természetes fogból csak minimális mennyiséget kellett preparálni.

Szépen kiegyenlítettük a természet e tréfáját, a páciens pedig elégedetten mosolyoghatott (40–43. képek).

Miért kell egészséges fogakat megcsiszolni, ha az idős fog erősen elhasználódott? Mind gyakrabban állapítom meg, hogy a 70+-os korosztály hajlandósága az invesztálásra természetes fogainak egészségmegóvásába folyamatosan nő. A múlté már az az idő, amikor megelégedtek a teljes lemezes kivehető pótlással. Az ilyen munkaigényes kezelések szeretettel üdvözölt kihívást jelentenek,

amelytől minden fogtechnikus szíve gyorsabban ver (44–46. képek)

Ebben az esetben az emergenciaprofil az íny enyhe recessziója következtében csak a fogforma idealizált kialakításával volt korrigálható. A nem ideális állapotot a kerámialeplezés precíz, kifejezetten ehhez az esethez illeszkedő végrehajtásával egyenlítettük ki (47–49. képek).

„Aki tudomány nélkül adja át a gyakorlatot, olyan, mint egy hajó kormánylapát és iránytű nélkül –soha nem tudja, hová kerül.”

Leonardo da Vinci (1452–1519)

Törekvésünk magja mindig az legyen, hogy a lehető legközelebb kerüljünk a természethez. Ő rejlik minden megoldásunk részleteiben. Egy természetes példa egyszerű tanulmányozásából olyan ismereteket nyerhetünk, amelyek megkönnyítik munkamenetünket a laboratóriumban, és helyreállítják, vagy javítják pácienseink egészségi állapotát. A fog emergenciaprofilja, illetve az ehhez hasonló dolgok ismerete nélkül nem készíthetünk funkcionális és esztétikus implantátum megtámasztású fogpótlást. Használjuk tudásunkat, és kormányozzunk egyenesen a cél – a tökéletes eredmény felé. Pontosan erre utal Leonardo da Vinci idézett mondatában.

Köszönetnyilvánítás

Köszönöm fogorvosaimnak és pácienseimnek, akik a bemutatott esetek elkészítéséhez megtiszteltek bizalmukkal. Ugyanígy köszönöm laboratóriumom csapatának – a kölcsönös támogatással és motiválással mindig új partokat érünk. Lorenzo Willschnek köszönet a szöveghez nyújtott segítségért. Külön köszönet illeti családomat – mindenekelőtt feleségemet, Nágyát, aki mindig türelmesen és határtalanul áll mellettem segítségként, a szakmai és magánéletben is. És utoljára, de nem utolsósorban: köszönet Leonardo da Vincinek!

Forrás: Das Dental Labor 2023/6

DIGITÁLIS KARMESTER: A DRS-RENDSZER ÉS AZ AG.LIVE

Az adatállományok – pl. az intraorális szkennerek – folyamatosan növekvő mennyiségének meghatározott munkafolyamatba illesztése kihívás a laboratórium és a rendelő számára. A szerzők pácienseset bemutatásán keresztül demonstrálják, hogyan lehetséges ez az Amann Girrbach DRSrendszerével és az AG.Live platformmal.

A mindennapokat lélegzetelállító gyorsasággal itatja át a mesterséges intelligencia, a robotika és a digitalizáció. Amit nemrégen még „transzformációként” jellemeztünk, ma már naponta érezhető – napról napra mélyrehatóan változik a munka világa. A fogászat és fogtechnika területén is folyamatosan újradefiniálja a játékteret a digitális innováció. Sok technológia nyújt esélyt a precizitás növelésére, a hatékonyság javítására, az egyszerűbb kommunikációra. Akik úgy döntenek, részesei lesznek a változásnak, pozicionálják magukat a jövőben. A tradíciók és a bevált ismeretek továbbra is szilárd helyet foglalnak el, a folyamatos siker kulcsa mégis a továbbfejlődésre való képesség. Az állandóan változó környezetben az újra való nyitottság nem lehetőség, hanem szükségszerűség.

Kihívások a fogtechnikai laboratóriumban

A digitalizáció első éveiben a gyártástechnikák változása relatív lassan ment végbe. A fejlődés mai üteme igencsak fergeteges. Oka ennek az is, hogy a rendelőben is egyre több munkafolyamat digitalizált. A változás során a laborok a következő kihívásokkal szembesülnek:

• új technológiák: a laboratóriumnak mindig az aktuális szinten kell elhelyezkednie, beruházva az új technológiákba, munkatársait kitanítva azokra

• hatékonyság és termelékenység: a verseny és a páciensek növekvő elvárásai hatékony eljárást igényelnek

• kommunikáció: az egyedi fogpótlások készítéséhez elengedhetetlen a hatékony kommunikáció a rendelővel

• chairside-készítés (a rendelőben, a „szék mellett” – a ford.): az egyes fogpótlás-típusok rendelőben való kivitelezésének lehetősége változásra nyitottságot követel a labortól

• szabályozások és megfelelés: az előírások folyamatosan növekvő száma különösen a kisebb laborok számára valódi akadály

• minőség és precízió: minden változás mellett egyvalami állandó – a nagy értékű, precíz fogtechnika iránti igény.

Hálózat vagy háló padló nélkül? Digitális együttműködés

Bár a digitalizáció sok eljárást egyszerűsít, új kihívásokat is hoz magával. Ehhez tartozik a különböző technológiák meghatározott munkamenetbe illesztése. Sok csapat felteheti magának a kérdést, hogyan kerül a növekvő számú digitális pácienseset (intraorális szkennelések adatai etc.) a rendelőből a fogtechnikai laboratóriumba. A lehetséges nehézségek közé számíthatjuk

• a kompatibilitási problémákat: nem minden intraorális szkenner, képalkotó rendszer, CAD/CAM-rendszer vagy 3D nyomtató használja ugyanazt az adatformátumot

• az adatbiztonság és adatvédelem kérdéskörét: a páciensadatok átvitele során fennáll az adatvédelmi szabályok megsértésének veszélye. Biztosnak kell lennünk abban, hogy a rendszerek betartják az adattárolás és átvitel során a vonatkozó szabályokat

• a technológiai kompetencia kérdését: mind a rendelői, mind a laboratóriumi csapat megfelelő technikai képességekkel kell rendelkezzen

• a kommunikáció és együttműködés kérdéskörét: a hatékony együttműködés több, mint az adatok elküldése. Szükséges hozzá olyan felület, amely lehetővé teszi az információk megosztását, kérdések feltevését, visszajelzéseket és a közös problémamegoldást.

A DRS-rendszer és az AG.Live platform

Míg a fogászat területén mindinkább eltűnnek a digitális és analóg módszer határai, a fogászati ipar olyan átgondolt alkalmazásokat fejleszt, amelyek összekötik a technológiákat, és egységes teret adnak a közös munkának. A Ceramill DRS (Amann Girrbach) és a hozzá tartozó AG.Live felület innovatív kettőse kiemelkedő. Az adatcsere egyszerű és hatékony. A rendszer moduláris felépítése folytán flexibilis, illeszthető az egyedi igényekhez is. Bázisként szolgál a Ceramill DRS Connection Kit, amelynek elemei az intraorális szkenner (Ceramill Map DRS), egy Notebook (Ceramill DRS Notebook), a szkennelőszoftver és kapcsolat az AG.Live felhő-felülethez.

FOGORVOS

Egyszerű restauráció

Restauráció aznap

Restauráció egy ülésben

páciens páciens

Egyszerű és összetett restauráció

FOGTECHNIKUS

Restauráció másnap

Restauráció aznap**

*3Shape (validált), Medit (validált), I-Tero (validált), további rendszerek **a labor és a rendelő közötti lokális távolság függvénye ***rövidesen

1. kép: Az AG.Live, a DRS-rendszer szíve grafikus ábrázolása. Fogászati kollaborációs szoftver a csapatmunkához.

2. kép: Pácienseset kezelése az AG.Live felületen: az eset beillesztése, megmunkálása, megosztása egyszerűen.

3. kép: A gépek és anyagok összekötése; kívánságra egyszerű támogatás.

Az AG.Live mint fogászati kollaborációs platform

Az AG.Live felület lehetővé teszi minden adat összekapcsolását a fogorvosi rendelők és a fogtechnikai laboratóriumok közötti egyszerűbb együttműködésért. Első, CAD/ CAM gyártórendszerrel (Ceramill) összekötött portálként, a páciensek adatait DSGVO-konform módon dolgozhatjuk fel. Az intraorális szkennerekből nyert adatállományt kiegészítendő más adatok is (pl. megrendelési információk, fogszín, fotók, röntgenképek) feltölthetők a platformra. Nem csak a rendszer részét képező Ceramill Map DRS intraorális szkenner beolvasásait lehet használni. A nyitott, és egyben validált „Ökosystem” más gyártók intraorális szkenner-adataival is kompatibilis. A fogorvosi rendelő feltölti a beolvasott adatokat, és vagy feldolgozza azokat a Ceramill DRS CAD-szoftverben, vagy megosztja azokat a laboratóriummal. A laboratórium az adatokat közvetlenül a Ceramill-szoftverben dolgozhatja fel (1. kép). Az AG.Live platform szíve a pácienseset kezelő felület. Ide kerülnek digitálisan a páciensadatok,

feldolgozásra és további megmunkálásra. Minden aktivitás áttekinthető – egy helyen, bármikor és bárhonnan. A platform centralizálja a protetikai munkamenetet. Kiemelendő a hézagmentes esetátadás, ami hiánytalan kommunikációt hoz létre rendelő és labor között. További fontos szempont a biztonság. Minden adat a DSGVO szerint kerül feldolgozásra. Pácienseset bemutatásával demonstráljuk a Ceramill DRS-rendszer és az AG.Live kollaborációs platform működését (2–3. képek).

Pácienseset: implantátumos korona

Kiindulási helyzet és terápiatervezés

Az 15 régióba került osszeointegrált implantátumra (Camlog 3,7; L11) teljes kerámiakoronát kell készíteni. Az implantátum gyógyulását követően stabil lágyszöveti viszonyok és jól

5. kép: A kiindulási helyzet röntgenképe.

megformált gingivaprofil figyelhető meg. A rendelő és labor közös megbeszélés során cirkonoxid korona készítését határozta el titánbázisra (4–7. képek).

Fogorvosi rendelő: adatrögzítés

A digitalizáció világába az intraorális szkennerekkel történő belépés bevált a klinikai mindennapokban. Az intraorális szkennerekkel (IOS) egy kvadránsban elérhető pontosság eléri, sőt meg is haladhatja a korábbit. Az implantátumra készülő koronák predesztináltak a digitális megvalósításra [ 3]. A lenyomatvétel célja az adatátvitel a fogtechnikai laboratóriumba, illetve a CAD-szoftverbe, az implantátum pozíciójának precíz rögzítésével, és a periimplantáris szövet valósághű megjelenítésével. Míg a konvencionális módszerrel a lenyomatvétel lenyomatvételi fejek segítségével történik, a digitális úton scanbody-kat használunk (digitális lenyomatvételi fej – a ford. ). Ezek digitalizálhatók, nagy pontossággal határozzák meg az implantátum pozícióját [ 4, 6].

Ebben az esetben az adatok rögzítése a Ceramill Map DRS intraorális szkennerrel történt. Kiegészítésképpen beolvas-

ták az 15 régió emergenciaprofilját, a felső fogívet és az antagonistát. Az implantátum pozíciójának meghatározásához második beolvasásban az illeszkedő digitális fejet csavarozták be az implantátumra. A scanbody egyedi formájú, a CAD-szoftverben az implantátum könyvtárban pozicionálható. A DRS-rendszer intraorális szkennere karcsú kialakítású, könnyű és könnyen kezelhető. A komfortos beolvasásról gondoskodnak a szoftver részletei – a szkennelés indítása indikáció meghatározása nélkül, a fölösleges adatok automatikus törlése (pofa, nyelv, ujjak…), a hangvisszajelzés, az adatok színes ábrázolása, a fogszín felismerése.

Az intraorális szituáció teljes rögzítését követően a harapás meghatározása történik, a Ceramill Zebris digitális arcívvel. Gombnyomásra megjelennek az értékek az artikulátor programozásához. Végül fotók készülnek, többek között színkulcs-referencia lapokkal (8–11. képek).

Adatcsere kollaborációs platformon Manapság gyakran vitatott kihívás a páciens digitális adatállományának eljuttatása a rendelőből a laborba. Természetesen lehetséges (pl. USB adathordozóval) fizikailag továbbítani azokat, de ennek nem sok köze van a digitális munkamenethez. E-maillel történő küldés is lehetséges, vagy „felhőn” keresztül. De ebből új kihívások keletkeznek, amelyek általában nehezen kezelhetők, pl.:

• adatbiztonság: érzékeny páciensadatok küldése felhőn vagy e-mailen keresztül adatbiztonsági szempontból aggályos lehet. A biztonság érdekében ezért az adatokat kódoltan kell küldeni.

• adatformátum: a különböző intraorális szkennerek különböző adatformációkat használnak, ami kompatibilitási problémát okozhat. A labor tehát képes kell legyen különböző formátumok fogadására is.

4. kép: A klinikai kiindulási helyzet a front felől.
6. a és b ábrák: Az 15-ös régióban elhelyezett implantátumra teljes kerámiakorona készül.
7. kép: A fogszínmeghatározás fotón dokumentálva.

• szervezés: központi platform hiányában a páciensadatok és a kommunikáció szervezése körülményessé válhat. Elveszhetnek fontos információk, akár törlődhetnek is.

Egy speciális fogászati kollaborációs platformon keresztül e kihívások elkerülhetők. Az olyan felület, mint pl. az AG.Live, sok módon javítja a labor és a rendelő közötti együttműködést.

• gyors és biztonságos adatcsere: a digitális adatállományok és más releváns páciensinformációk valós idejű, DSGV-nek megfelelő megosztásának lehetősége mindkét fél számára hatékony munkát tesz lehetővé.

• egyszerűsített kommunikáció: a hagyományos kommunikációs eszközökre (telefon, e-mail) utaltság helyett közvetlenül a felületen lehet együtt dolgozni (pl. kommentárokat hozzáfűzni, kérdést feltenni, megoldásokat megvitatni).

• magas transzparencia és kontroll: a résztvevők hozzáférése az információkhoz egyenlő mértékű. Ez a munka magas minőségét és elégedettebb pácienseket hoz magával.

Az AG.Live és a hozzá hasonló felületek zárják a digitális labor és digitális rendelő közötti tradicionális lyukat, és hiánytalan együttműködést biztosítanak. A bemutatásra kerülő esetben is platformon osztották meg a páciens adatállományát a laborral. Nem volt szükség oktatásra és bedolgozottságra, mert az eljárás magas szinten intuitív és automatizált. A digitális megrendelés közvetlenül a laborba kerül, így szükség esetén azonnali kérdések feltevésére is módot teremt. A rendelő számára ez azt jelenti, a labor tapasztalata valóban egyetlen kattintással elérhető, függetlenül a földrajzi távolságtól. Az ilyen felület nagy előnye a kapacitás és infrastruktúra menedzselése is. Elméletileg minden pácienseset elhelyezhető a portálon (12–14. képek).

8. a és b képek: A szituáció rögzítése Ceramill Map DRS készülékkel, illetve ennek valós idejű képe a monitoron.
9. kép: A becsavarozott scanbody az implantátumpozíció digitális meghatározásához
10. a–b kép: A felső és alsó állcsont képe a Ceramill Map DRS szoftverben.
11. kép: Az implantátum pozíciójának beolvasása az 15 régióban.

12. kép: Az AG.Live platformon – egyszerű e-maillel meghívható a partner (Meghívó-Token)

13. kép: Néhány kattintás a páciens adatainak elhelyezése és az anyagválasztás.

A protetikai munkacsoport szempontjából az AG.Live több, mint egy felület – megoldás a korszerű digitális együttműködésre a fogorvosi rendelő és a fogtechnikai laboratórium között.

• egyszerűség: az AG.Live központosítja a digitális munkamenetet rendelő és labor között

• csoportmunka: a platform az adatok cseréjét áttekinthetővé és hiánytalanná teszi

• gyorsaság: a direkt összeköttetés a CAD/CAM gyártórendszerrel az adatok villámgyors tárolását és előkészítését a további feldolgozásra teszi lehetővé

• biztonság: az AG.Live magas prioritással kezeli a páciensek adatait (DSGVO-konform)

• flexibilitás: a nyitott csatlakozási felületeknek köszönhetően különböző gyártók intraorális szkennereinek adatait is képes fogadni

• varratmentes: az esetátadás zökkenőmentes, optimalizálható a munkamenet.

A fogtechnikai laboratórium: a korona CAD tervezése

14. kép: A páciens releváns adatainak megosztása a laborral a felületen.

A fogtechnikai laboratórium: CAM készítés és nagy sebességű szinterezés

A tervezési adatokat az anyag kiválasztását követően a marógépbe (Ceramill Motion 3, Amann Girrbach) küldik. Ebben

A megrendelésre vonatkozó automatikus értesítést követően a platformról letöltik az 15-ös régióra vonatkozó, a gyártáshoz szükséges adatokat a hozzájuk tartozó mellékletekkel a Ceramill Mind CAD-szoftverbe. Itt már a jól ismert felületen dolgozhat a labor, a megszokott összetevőkkel – a hardver (marógép, anyagok) és a szoftverek (a tervező, a marás-stratégiai és az illesztő) egymáshoz illesztettek, validáltak. Az 15-ös régióba kerülő implantátumos korona a szokásos módon készül el. A szoftver első javaslatát módosítani lehet a követelmények szerint. Az intelligens automatizmusoknak köszönhetően a végleges terv néhány kattintással elérhető. A funkcionális kritériumok (statikus és dinamikus okklúzió a virtuális artikulátorban) ugyanúgy figyelembe vehetők, mint a behelyezési irány és a morfológiai formakialakítás. A szoftverben ellenőrizhető a minimumvastagság, az antagonista érintkezés, az approximális felületek etc. – szükség esetén változtatható is (15. a–e képek).

15. a-e kép: A konstrukció megtervezése az 15 régióban a hagyományos módon történik a Ceramill Mind DRS szoftverben.

16. a-d kép: Az 15-ös régióba kerülő implantátumos korona Zolid DRS Multilayer tömbből kimarása a Ceramill Motion 3 géppel a laborban

17. a és b kép: A cirkóniumkorona szinterezése nagy sebességű eljárással (20 perc). Figyelem: a nagy sebességű eljárás csak speciális cirkonoxidok (pl. Zolid DRS) használatával alkalmazható, és megfelelő kályha is (pl. Ceramill Therm DRS) kell hozzá!

az esetben a többrétegű Zolid DRS Multilayer (Amann Girrbach) anyagot választottuk… A rendszerhez tartozó elemek együttműködése okán nagy biztonsággal dolgozunk, mert az alapanyag is optimalizált része a rendszernek. A magas hajlítószilárdság (kb. 1100 MPa) és az emellett biztosított természetes transzlucencia következtében a cirkónium-dioxid különösen alkalmas implantátumos koronákhoz. A Zolid DRS Multilayer korong nagy előnye, hogy gyors eljárásban szin-

terezhető a Ceramill Therm DRS szinterkályhában. 20 perc alatt szinterezhető a kimart korona [2,5]. Tanulmányok bizonyítják, hogy ez a gyors eljárás nem befolyásolja negatívan az alapanyag tulajdonságait (16. a+d–17. a+d képek).

A fogtechnikai laboratórium: készrevitel

Az átmenetes színnek köszönhetően a Zolid DRS Multilayer anyag és a VITA-színkulcs közötti egyezés folytán elméletileg további megmunkálás nélkül jó esztétika érhető el. De a fogtechnikai etika, még inkább az esztétikai lehetőségek megvalósítása miatt egyéniesítést végeztünk (MiYO Esthetic Finishing System, Jensen). Végül a koronát összeragasztottuk a titánbázissal, amelynek során elengedhetetlen az előírt munkamenet betartása [1] (18-20. képek).

A fogorvosi rendelő: az implantátumos korona behelyezése Most az egész folyamat során az első fizikai küldés is megtörténik. A koronát elküldik a laborból a rendelőbe. Elméletileg a DRS-rendszeren belül lehetséges volna az AG.Live felületen csak a restauráció CAD tervezésű adatállományának rendelőbe juttatása, ha ott is rendelkeznének a Ceramill DRS-rendszerhez tartozó gyártóberendezéssel. Ebben az esetben a labor a tervezést ajánlaná szolgáltatásként, ami érdekes bővítése a portfóliónak.

A laborban készült implantátumos koronát próbát követően csavarral rögzítik az implantátumon az 15-ös régió -

19. a és b kép: A kész korona a nyomtatott mintán; elméletileg minta nélkül is dolgozhatunk.

20. a és b kép: Az implantátumkorona a titánbázissal összeragasztva.

ban, majd a csavarcsatornát fogszínű kompozittal zárják.

A korona természetes hatást kelt a szájban, mintha az állcsontból nőtt volna ki, ami köszönhető a cirkonoxid jó optikai tulajdonságainak, az egyéniesített színezésnek és

az emergenciaprofil természetes kialakításának is (21. a és b képek).

Összefoglalás

A laborok a digitális transzformáció során rengeteg kihívással szembesülnek, amelyeket nyitottsággal és jövőorientált stratégiával kezelhetnek. Esetbemutatáson keresztül ismerkedtünk meg a Ceramill DRS-rendszer és az AG.Live felület, valamint a további Ceramill laborkomponensek kombinációjának lehetőségeivel. A felhasználó szempontjából különösen a rendelő és a labor közötti hiánytalan együttműködés biztosítása jelent nagy gazdagodást. Míg gyakran csak szigetszerű megoldásokat kínálnak, amelyek új és új kihívásokat hoznak magukkal, a bemutatott rendszer átfogó munkafolyamati megoldást kínál. A DRS-rendszer nagy folyamatbiztonságot és precizitást biztosít, míg az AG.Live platform centrális felületet ad az adatcseréhez. E szinergia jelentősen javítja a rendelő és labor közötti kommunikációt. A rendszer ráadásul igen képlékeny, nyitott csatlakozási felületekkel is rendelkezik, és különböző gyártók intraorális szkennereivel is képes kommunikálni. Átléphetők a hagyományos határok, és új utak kínálkoznak az együttműködés terén. (A hivatkozott irodalomjegyzék listája szerkesztőségünben elérhető.)

Forrás: Das Dental Labor 2023/7-8

21. a és b kép: A szájba becsavarozott implantátumos korona.

18. kép: A korona egyéniesítése (MiYo Esthetic Finishing).

Turn static files into dynamic content formats.

Create a flipbook
Issuu converts static files into: digital portfolios, online yearbooks, online catalogs, digital photo albums and more. Sign up and create your flipbook.