Infomedix Odontoiatria Italiana 4/2025

Page 1


Odontoiatria

ATASIO

Salute e luminosità del sorriso: Quali tecnologie?

p. 12

S.I.O.H.

Gestione odontoiatrica del paziente con MEC

p. 4

Tutto ebbe inizio per puro caso

Henry Dunant, un commerciante svizzero, si trovava nei pressi di Solferino quando, nel giugno del 1859, una delle più sanguinose battaglie del tempo lasciò sul campo circa 35.000 tra morti e feriti. Fu allora che, ancora per caso, assistette a una scena destinata a cambiare la storia dell’umanità: le donne di Castiglione delle Stiviere, mosse solo da compassione, soccorrevano senza distinzione i feriti francesi, austriaci e piemontesi. Nessuna bandiera, nessuna fazione, solo esseri umani da salvare. Da quella visione, da quell’intuizione semplice e rivoluzionaria, nacque il seme del Movimento Internazionale della Croce Rossa e della Mezzaluna Rossa, oggi presente in 192 Paesi. Perché quella che era sembrata un’eccezione, un gesto di umanità nel caos della guerra, divenisse regola, serviva però molto di più: serviva un riconoscimento ufficiale, un trattato internazionale. Fu la Svizzera a farsi promotrice dell’iniziativa, convocando l’8 agosto 1864 una conferenza diplomatica a Ginevra. Vi presero parte i rappresentanti di 12 governi, tra cui gli Stati Uniti – unica potenza non europea presente. Il 22 agosto, dopo due settimane di lavori, nacque la Prima Convenzione di Ginevra per il miglioramento della sorte dei feriti in campagna. Un documento breve, dieci articoli soltanto, ma che avrebbe segnato una svolta epocale: garanzia di neutralità e protezione per ambulanze, ospedali, personale sanitario, materiale medico. Persino i civili impegnati nei soccorsi venivano riconosciuti come parte di una nuova frontiera dell’umanità.

Quella convenzione fu la pietra miliare del Diritto Internazionale Umanitario, un insieme di norme destinate a limitare l’orrore dei conflitti, proteggendo chi non combatte. Un argine fragile, ma necessario, contro la barbarie.

Continua a pagina 2

SIOCMF

La medicina estetica in odontoiatria: competenze e prospettive

p. 7

A.I.O.L.A.

Il laser nella pratica clinica quotidiana dell’odontoiatra

p. 16

Ci sono anche due Odontoiatri tra i professionisti insigniti oggi alla Camera del Premio intitolato a Geppino Micheletti, il “medico eroe venuto dall’Istria” che, per 48 ore, continuò senza sosta a soccorrere e operare i feriti nella strage di Vergarolla, nonostante sapesse di aver perso i due figli, il fratello e la cognata.

Si tratta di Paolo Ottolina e di Andrea Oltolina che, entrambi di Milano, rappresentano le due

facce dell’Odontoiatria dedicata alle fragilità: l’Odontoiatria “speciale”, rivolta alle persone con disabilità, e l’Odontoiatria “sociale”, che si fa carico degli “invisibili”, che non possono o non riescono a fruire delle cure del Servizio sanitario nazionale.

Continua la lettura a pag. 8

Oggi, a distanza di oltre un secolo e mezzo, quelle regole sembrano sgretolarsi sotto i nostri occhi. Il 21 novembre 2024, la Corte Penale Internazionale ha emesso due decisioni storiche sulla situazione in Palestina. All’unanimità, ha respinto le obiezioni dello Stato di Israele e ha emesso mandati di arresto per il Primo Ministro e per l’ex Ministro della Difesa, accusati di gravi crimini. Una decisione senza precedenti. Eppure, solo pochi giorni dopo, lo stesso Primo Ministro guida il proprio Paese in una guerra contro l’Iran, spingendo gli Stati Uniti a colpire direttamente siti strategici iraniani. Potrebbe essere il contrario ma il fatto è che inizia così una nuova e pericolosa fase del conflitto, sospesa tra mille incognite. Che farà l’Iran? Risponderà subito, colpendo la presenza americana in Medio Oriente? O agirà indirettamente, sfruttando le milizie Houthi, ostacolando i traffici nel Golfo Persico, magari con attentati che non portano firma? E Russia e Cina, come reagiranno? Si limiteranno a osservare, o coglieranno l’occasione per alzare la pressione in Ucraina, nel Mar Cinese Meridionale, nel mondo?

Nel frattempo, assistiamo alla dissoluzione di ciò che restava del diritto internazionale. Il rispetto delle regole, il primato della legge, la gestione multilaterale delle crisi: tutto sembra svanito. Stiamo entrando in un nuovo ordine globale, dominato dalla forza, dall’arbitrio, da regole a geometria variabile. Dove ciò che è vietato per alcuni è concesso ad altri. Dove il potere giustifica tutto. E allora, ci resta una domanda: che cosa insegniamo ai nostri figli?

Che le regole non contano più? Che i tribunali sono solo scenografie? Che ha sempre ragione il più forte?

Forse è tempo di riflettere con attenzione sulle parole di una madre, i cui bambini sono stati maltrattati durante un semplice viaggio in treno:

“Se la soglia di tolleranza per la presenza e gli inconvenienti di due o più bambini è davvero così bassa… allora forse ci meritiamo davvero l’estinzione.”

Una frase amara. Forse esagerata. Ma forse no. Perché se l’umanità non sa più distinguere tra giustizia e vendetta, tra forza e prepotenza, tra diritto e interesse, allora davvero rischiamo di perderci. E forse, quando avremo fatto il deserto attorno a noi, sarà troppo tardi per tornare indietro.

HELBO Terapia fotodinamica antimicrobica (aPDT ), favorisce la conser vazione di denti ed impianti. HELBO è l‘unico sistema di questo genere con componenti sterili.

Per maggiori informazioni sulla terapia fotodinamica HELBO potete contattare direttamente il distributore telefonando al n. 392 6060066

Infomedix Odontoiatria 4/2025 bimestrale • anno V • numero 26 agosto-settembre 2025

Direttore Responsabile

Silvia Borriello - silvia.borriello@infomedix.it

Coordinatore Editoriale Alberto Faini - a.faini@infomedix.it

Redazione

Nadia Coletta - nadia@infomedix.it

Claudia Proietti Ragonesi - pressoffice@infomedix.it

Infodent Srl

Sede Operativa: Via dell'Industria, 65 01100 Viterbo redazione@infomedix.it 0761.352133

Sede Legale: C.ne Gianicolense, 68 00152 Roma P. IVA / C.F. 01612570562

Amministratore: Baldassare Pipitone

Responsabile Scientifico

Gianna Maria Nardi

Luca Maria Pipitone

Roberta Grassi Chiara Faini

Grafica

Antonio Maggini - artwork@infomedix.it

Ufficio Stampa Claudia Proietti Ragonesi pressoffice@infomedix.it

Marketing e pubblicità Riccardo Bonati riccardo.bonati@infomedix.it

Organizzazione Eventi Cristina Garbuglia eventi@infomedix.it

Stampa

Graffietti Stampati Snc

Strada Umbro Casentinese Km 4.500 01027 Montefiascone (VT)

Spedizione

Poste Italiane S.p.A – Spedizione in Abbonamento

Postale - AUT. CENTRO/01673/05.2021

PERIODICO ROC Contiene I.P.

Registrazione al Tribunale di Viterbo n° 679/2021 del 08/03/2021

Costo copia euro 0.77

Questo numero è stato chiuso il: 24/07/2025

DIREZIONE E REDAZIONE Via dell’Industria 65 01100 Viterbo - Italy VAT 01612570562

Per informazioni, richieste e invio materiale da pubblicare contattaci: redazione@infomedix.it

T. +39 0761 352198 www.infomedixodontoiatria.it

Azienda certificata dal 26/11/2004, per la realizzazione ed erogazione di sistemi di comunicazione di marketing multicanale secondo la norma ISO 9001:2015. Certificato n. CERT-15119-2004-AQ-ROM-SINCERT

Tutti coloro che vogliono condividere esperienze di trattamenti al cavo orale e periorale, maturate e documentate all’interno di studi dentistici privati o di cliniche odontoiatriche possono contribuire contattando la redazione chiamando il numero +39 0761 352133 o inviando una mail a: redazione@infomedix.it

La responsabilità degli articoli e dei contenuti appartiene ai rispettivi autori, che ne rispondono interamente.

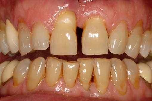
Gestione odontoiatrica del paziente con MEC

Erminia Di Nobile - Medico-odontoiatra, Socio SIOH

ssere socio SIOH, per me, significa avere l’opportunità di curare e conoscere il paziente nella sua interezza, dedicandomi alla “persona” in tutta la sua straordinaria complessità e pienezza.

Avere uno sguardo che va “oltre il cavo orale” è un punto di partenza fondamentale nell’approccio ai pazienti con bisogni speciali, requisito indispensabile quando si sceglie di prendersi cura di pazienti con MEC (Malattie Emorragiche Congenite).

Le MEC rappresentano un gruppo eterogeneo di disordini ereditari della coagulazione, che includono principalmente:

- Emofilia A (deficit di Fattore VIII),

- Emofilia B (deficit di Fattore IX),

- Malattia di von Willebrand (deficit quantitativo e/o qualitativo dell’omonimo fattore).

In ambito odontoiatrico, le MEC rappresentano una sfida continua. Tutto il personale deve essere formato e conoscere bene le strategie per affrontare qualsiasi tipo di trattamento in questi pazienti, dal più semplice al più complesso. Come in ogni settore dell’odontoiatria speciale, il lavoro in team fa la differenza. Non si può prescindere dalla collaborazione e dalla guida dell’ematologo che segue il paziente con MEC, conoscendone la storia clinica e le peculiarità. Ad esempio, l’emofilia viene solitamente classificata in forme lieve, moderata e grave, in base ai livelli plasmatici di Fattore VIII. Oggi, viene data particolare importanza al fenotipo emorragico e alle possibili alterazioni qualitative riscontrabili anche nei pazienti con forme lievi. In letteratura sono riportati casi di emorragie post-estrattive in giovani con emofilia lieve, a distanza di diversi giorni dall’intervento.

Sono disponibili farmaci per la profilassi, tra cui Fattore VIII ricombinante, anticorpi monoclonali e prospettive di terapia genica.

L’odontoiatra deve conoscere approfonditamente queste patologie, l’utilizzo degli agenti emostatici locali e tutti i protocolli necessari a ridurre il rischio di complicanze. Le complicanze non sono esclusivamente emorragiche. Nei pazienti emofilici può verificarsi la formazione di emartri, fortunatamente rari a livello delle ATM. In seguito ad anestesia tronculare, possono formarsi ematomi retromolari o nella regione pterigoidea, potenzialmente in grado di compromettere le vie aeree. Per questo motivo, l’anestesia tronculare è sconsigliata o deve essere eseguita solo sotto adeguata copertura emostatica.

È fondamentale programmare sempre gli interventi odontoiatrici, comprese le sedute di igiene professionale, nel giorno in cui il paziente effettua l’infusione del fattore, preferibilmente a circa un’ora dall’infusione, quando il farmaco raggiunge il picco plasmatico. Durante la procedura, è necessario utilizzare tutti gli accorgimenti per ridurre il trauma tissutale, prestando attenzione anche alla manipolazione di strumenti semplici come l’aspirasaliva.

In caso di chirurgia orale è imprescindibile ascoltare l’ematologo e stabilire un piano di somministrazione del fattore in base al tipo di paziente e alla complessità dell’intervento chirurgico.

L’aumento dell’aspettativa di vita nei pazienti con MEC comporta talvolta la presenza di comorbidità, come diabete o pregresse patologie cardiovascolari. Non è raro quindi, gestire pazienti che effettuano terapia sostitutiva per emofilia e, contemporaneamente, assumono terapia antiaggregante per altre patologie.

L’odontoiatra deve conoscere le caratteristiche farmacocinetiche e farmacodinamiche dei farmaci utilizzati dal paziente, anche per la gestione del dolore e delle infezioni. È consigliato evitare i FANS, preferendo il paracetamolo e, se necessario, valutare l’uso di oppioidi.

Una delle azioni più importanti che noi soci SIOH possiamo intraprendere è promuovere campagne di prevenzione. È fondamentale ridurre il numero di interventi eseguiti in urgenza in questi pazienti, obiettivo raggiungibile solo sensibilizzando la popolazione sull’importanza della cura del cavo orale.Il paziente con MEC, spesso teme le cure odontoiatriche non per odontofobia, ma per le possibili complicanze legate a un intervento in bocca, soprattutto tra i pazienti di vecchia generazione.

Ascoltare il paziente, entrare nella sua storia e comprendere la sua malattia è parte integrante della nostra missione.

Come odontoiatri, possiamo anche diventare vere e proprie sentinelle nella diagnosi precoce di malattie emorragiche congenite.Sanguinamenti protratti e privi di causa apparente possono indurre il sospetto di una patologia della coagulazione non diagnosticata.

Negli ultimi anni sono presenti in letteratura studi che riportano riabilitazioni implantoprotesiche effettuate in questa tipologia di pazienti , fornendo loro nuove prospettive terapeutiche.

La strada è ancora lunga da percorrere: così come in diversi ambiti della medicina sono stati aggiunti traguardi significativi nella gestione delle MEC , anche in odontoiatria è possibile garantire cure sicure ed efficaci.

Con una pianificazione attenta, una collaborazione multidisciplinare e l’applicazione di linee guida aggiornate, anche le persone con MEC, possono ricevere le cure odontoiatriche necessarie, mantenendo la salute orale e potendo esibire con serenità un bel sorriso!

Voce bibliografica:

Managing Oral Surgery in von Willebrand Disease: Lessons from a Challenging Case di G. Ascani, P. Ranalli, F. Azzuni, S. Benfatto, M. Romano, E. Di Nobile., J Clin Exp Dent. 2025 Jun 1;17(6):e742-e745

“Premi il pulsante”: la pulizia automatizzata di bite e protesi con SYMPRO

La pulizia professionale di riabilitazioni protesiche mobili e dispositivi come bite, allineatori o paradenti è fondamentale per garantire la salute orale del paziente, il comfort e la durata dei dispositivi. Tuttavia, questa attività, spesso lunga e poco gradita, può oggi essere automatizzata grazie al sistema di pulizia SYMPRO, pensato per studi dentistici e laboratori odontotecnici.

Una scarsa igiene di protesi o bite favorisce l’accumulo di placca e biofilm, causando una serie di problemi al paziente e compromettendo la sua salute e il suo benessere generale. Per garantire una pulizia efficace, è consigliata una combinazione di metodi meccanici e chimici. SYMPRO adotta proprio questa strategia, offrendo una pulizia profonda ma delicata.

Oltre alle protesi, anche i bite terapeutici e gli allineatori, spesso indossati per ore e a contatto diretto con la flora orale, sono particolarmente soggetti a macchie e a colonizzazioni batteriche. La tecnologia SYMPRO impiega un sistema magnetico con speciali puntine di pulizia attivate da un campo rotante: una soluzione completamente automatica, efficace anche nelle zone più difficili da raggiungere, senza danneggiare le superfici. Per i paradenti sportivi, che spesso vengono conservati in ambienti umidi come le borse da palestra, la pulizia professionale rappresenta anche una protezione contro la proliferazione fungina. Inoltre, mantenere puliti questi dispositivi ne prolunga la durata, migliora la loro funzionalità e comfort, e riduce i rischi per la salute. Abbinando SYMPRO ai detergenti specifici si ottiene un ricondizionamento professionale e sicuro in soli 15-20 minuti. Il processo è totalmente automatico, adatto alla maggior parte delle protesi mobili e degli apparecchi ortodontici. SYMPRO si presenta come una soluzione efficiente per integrare la pulizia professionale nei flussi di lavoro quotidiani, riducendo i tempi, migliorando l’efficacia e contribuendo significativamente alla salute orale dei pazienti.

Per maggiori informazioni: https://www.renfert.com/it-it/prodotti/apparecchi/apparecchi-per-la-pulizia/sympro

Pulire le protesi dentali

Semplicissimo. Basta premere un pulsante.

Ideale anche per ferule, bite occlusali e apparecchi ortodontici

making work easy

Rimuovere completamente i depositi ostinati costa molto tempo. Ma non deve essere necessariamente così: il sistema di pulizia SYMPRO svolgerà facilmente il lavoro per voi. Già dopo poco tempo potrete ritornare al paziente la protesi pulita e come effetto secondario avrete effettuato anche un servizio di profilassi.

Per saperne di più: www.renfert.com/sympro-system

La medicina estetica in odontoiatria: competenze e prospettive

Sabato 17 maggio, nell’ambito dell’Expodental Meeting 2025, si è svolta la Tavola Rotonda dal titolo “Esercizio della medicina estetica non invasiva o mini-invasiva del viso: quali competenze?”, organizzata dalla Società Italiana di Odontostomatologia e Chirurgia Maxillo-Facciale (SIOCMF).

Professionisti di alto livello e specifica competenza, afferenti a branche specialistiche complementari all’odontoiatria sono intervenuti con la moderazione ed il coordinamento dei Proff. Bellini e Vinci (rispettivamente Segretario e Vice Presidente SIOCMF): il Prof. De Santis (chirurgo plastico), il Prof. De Gregorio (farmacologo clinico), il Prof. Mercuri (dermatologo), il Prof. Bertossi (chirurgo maxillo-facciale) e la Prof.ssa Pinchi (odontoiatra forense). Sono emerse chiaramente l’eterogeneità del tema, la sovrapposizione tra ambiti di competenza, i rischi di serie complicanze con le relative implicazioni medico-legali, nonché l’impossibilità di definire in modo univoco il termine “mini-invasivo”.

Sono peraltro emerse le potenzialità di tali procedure, quando indicate e quando correttamente applicate, con particolare attenzione alla possibilità di migliorare l’estetica e la funzionalità del distretto oro-facciale in maniera sinergica.

Nella seconda parte dell’incontro, voci istituzionali di rilievo come il Prof. Generali (Segretario della Conferenza Permanente dei Presidenti dei CLMOPD), il Prof. Oteri (referente CDUO per le scuole di specializzazione in chirurgia orale), il Prof. Paganelli (expert panel per la Commissione Europea ), il Prof. Di Lenarda (Presidente SIOCMF e Past President CDUO), il Dott. Senna (Presidente CAO), il Dott. Ghirlanda (Presidente ANDI) e il Dott. Seebergher (Presidente AIO) hanno concordato sulla indispensabile ed urgente necessità di una regolamentazione per l'esercizio della medicina estetica. L’improvvisa estensione per via normativa delle competenze dell’Odontoiatra nell’ambito della medicina estetica del terzo superiore del volto rappresenta, a detta di tutti gli intervenuti, l’occasione da non perdere per prevedere nel più breve tempo possibile l’identificazione dei percorsi formativi certificati, di natura universitaria, necessari per poter erogare prestazioni di

medicina estetica. Ciò non può pertanto non presupporre l’inserimento, per quanto riguarda l’undergraduate, di crediti formativi al fine di integrare le conoscenze del futuro odontoiatra ma anche una formazione omogenea su tutto il territorio nazionale con master universitari dedicati, al fine di qualificare e uniformare gli operatori che possano essere così tutelati anche da un punto di vista assicurativo.

La SIOCMF nei prossimi mesi organizzerà un nuovo incontro a Roma, verosimilmente a dicembre, in Sapienza, dove coinvolgerà anche le Istituzioni per un opportuno confronto sul tema.

ONX TOUGH 2

SprintRay OnX è una resina nanoceramica ibrida di classe II per la stampa 3D per la produzione di protesi . SprintRay OnX presenta una combinazione ottimale di traslucenza e opacità per riprodurre la dentatura naturale. Il contenuto di ceramica garantisce ai vostri pazienti qualcosa per cui sorridere.

Restituire il sorriso ai più fragili

Insigniti del Premio Micheletti

anche due Odontoiatri che dedicano la vita all’Odontoiatria speciale e sociale

Senna (Cao nazionale): “Figure eroiche che fanno onore alla nostra Professione”

Ci sono anche due Odontoiatri tra i professionisti insigniti oggi alla Camera del Premio intitolato a Geppino Micheletti, il “medico eroe venuto dall’Istria” che, per 48 ore, continuò senza sosta a soccorrere e operare i feriti nella strage di Vergarolla, nonostante sapesse di aver perso i due figli, il fratello e la cognata. Si tratta di Paolo Ottolina e di Andrea Oltolina che, entrambi di Milano, rappresentano le due facce dell’Odontoiatria dedicata alle fragilità: l’Odontoiatria “speciale”, rivolta alle persone con disabilità, e l’Odontoiatria “sociale”, che si fa carico degli “invisibili”, che non possono o non riescono a fruire delle cure del Servizio sanitario nazionale.

I nominativi sono stati segnalati dalla Commissione Albo Odontoiatri (CAO) nazionale della FNOMCeO, la Federazione nazionale degli Ordini dei Medici chirurghi e degli Odontoiatri, la quale figura, insieme a Federesuli e altre associazioni di esuli di Pola, Istria e Dalmazia, tra gli organizzatori del Premio, promosso dall’ On. Andrea Mascaretti “In un mondo che accende i riflettori su ciò che non funziona - sottolinea Andrea Senna, che della CAO azionale è il Presidente - rimarcando impietosamente i malfunzionamenti della nostra sanità, è bello evidenziare che ci sono figure eroiche, che mettono la loro vita professionale al servizio dei più fragili, incarnando i principi del Codice deontologico e del Giuramento e facendo onore alla nostra Professione”.

Paolo Ottolina è il Presidente della SIOH (Società italiana di Odontoiatria per l’Handicap), Società scientifica che proprio quest’anno festeggia i 40 anni di attività e che conta oggi 280 membri. La SIOH è impegnata principalmente nella formazione dell’equipe medica che deve farsi carico della persona con disabilità, adattando l’ambiente e l’organizzazione dello studio alle esigenze del paziente. “Con dedizione, competenza e profondo spirito di servizio - motiva Senna - il Dott. Ottolina ha saputo trasformare la sua professione in una missione, promuovendo un'odontoiatria inclusiva, accessibile e rispettosa della dignità di ogni persona. Il suo impegno volontario, portato avanti con costanza e sensibilità, rappresenta un esempio concreto di solidarietà e innovazione sociale, contribuendo a colmare un vuoto assistenziale troppo spesso trascurato. Attraverso la guida della SIOH e la promozione di buone pratiche in ambito clinico e formativo, ha saputo dare voce a bisogni complessi, rendendo visibili e tutelati i diritti di una fascia fragile della popolazione”.

Andrea Oltolina è invece direttore dell’ambulatorio di Odontoiatria della Fondazione “Fratelli di San Francesco D’Assisi”, sempre a Milano. A lui si rivolgono i fragili, i senza fissa dimora, che, nonostante la nuova legge, il Servizio sanitario nazionale fatica a intercettare e a prendere in carico, ma anche gli anziani con la pensione minima, i pazienti psichiatrici lievi, gli stranieri che trovano difficoltà con la lingua o le procedure burocratiche. La Fondazione ha un poliambulatorio

con quasi 1000 medici volontari, di cui 25 Odontoiatri. Per funzionare si affida a convenzioni, al Banco farmaceutico e ad accordi con aziende e ospedali, alleviando il Servizio sanitario nazionali di costi non irrisori, in quanto i fragili, non riuscendo spesso a usufruire dell’assistenza di base, si rivolgerebbero al Pronto soccorso, quando magari la patologia si è aggravata. 50mila l’anno le persone prese in carico dal poliambulatorio.

“Abbiamo proposto per questo riconoscimento il Dott. Andrea Oltolina - spiega Senna - per l’esemplare impegno umano e professionale dimostrato nel prestare, in forma totalmente volontaria, cure odontoiatriche a favore delle persone più fragili e bisognose. Attraverso la sua costante attività presso la Fondazione “Fratelli di San Francesco”, ha messo le proprie competenze al servizio di chi, troppo spesso, resta ai margini dei percorsi di cura e assistenza, incarnando i valori più alti della solidarietà e dell’inclusione. Con discrezione, generosità e profondo senso civico, ha contribuito in modo tangibile al benessere e alla dignità di molte persone, offrendo non solo cure, ma anche ascolto e rispetto. Per la dedizione, l’etica professionale e l’impegno concreto nel contrastare le disuguaglianze sanitarie, il Dott. Oltolina rappresenta un modello di riferimento e un esempio di autentico servizio alla comunità”.

Odontoiatria, Senna (Caon): “Cure siano più accessibili, contrastare abusivismo e turismo dentale”. Le proposte della Cao nazionale in audizione sul DDL Prestazioni sanitarie

La Commissione Albo Odontoiatri (Cao) nazionale, presieduta da Andrea Senna, ha presentato alla Commissione Affari Sociali della Camera tre proposte in merito al DDL “Prestazioni sanitarie”: aumentare la detraibilità fiscale delle cure odontoiatriche, contrastare il turismo dentale extra UE e regolamentare l’esercizio dell’odontoiatria in forma societaria, consentendolo solo alle Società tra Professionisti (StP) iscritte all’albo.

Senna ha evidenziato che il 28,2% degli italiani rinuncia alle cure odontoiatriche, mentre solo il 13% si reca dal dentista almeno una volta l’anno. Per aumentare l’accesso alle cure, la Cao propone di intervenire sulle detrazioni fiscali. Questo migliorerebbe non solo la salute orale, ma anche la salute pubblica, facilitando diagnosi precoci di patologie gravi come i tumori del cavo orale, che colpiscono ogni anno circa 6.000 persone con una mortalità a 5 anni del 39%.

La diagnosi precoce permette guarigioni tra il 75% e il 100% dei casi, riducendo anche i costi per il Servizio Sanitario Nazionale e per i cittadini. L’incremento della detraibilità favorirebbe inoltre l’indotto economico, l’emersione del sommerso e il contrasto all’abusivismo, generando maggiori entrate fiscali per lo Stato.

Sul fronte societario, la Cao ritiene che solo le StP garantiscano il rispetto del Codice di Deontologia Medica e offrano un equilibrio tra tutela del paziente e concorrenza. L’attività odontoiatrica, esercitata in contesti non regolamentati, rischia di essere ridotta a un’attività meramente commerciale, perdendo di vista la centralità del paziente come soggetto titolare del diritto alla salute, sancito dall’art. 32 della Costituzione.

Infine, la Cao lancia un allarme sul fenomeno del “turismo dentale” verso Paesi extra UE, attrattivo per i costi contenuti ma con gravi rischi: cure inappropriate, materiali non certificati, mancanza di follow-up e difficoltà legali in caso di complicanze. Inoltre, i capitali spesi all’estero danneggiano l’economia sanitaria nazionale.

Per contrastare il fenomeno, la Cao propone di escludere dalla detraibilità fiscale le spese odontoiatriche sostenute in Paesi extra UE. Secondo Senna, interventi come l’inserimento di impianti post-estrattivi in tempi ristretti possono essere più rischiosi rispetto a terapie secondo protocolli standard. Il rapporto odontoiatra-paziente dovrebbe garantire continuità nel tempo, includendo prevenzione e controlli periodici, fondamentali per la salute complessiva.

Medicina Personalizzata: fine dell'era della medicina taglia unica

Il progetto Organoids Factory, un'iniziativa dedicata alla medicina rigenerativa personalizzata attraverso l'uso di organoidi per migliorare la diagnosi e il trattamento dei pazienti.

Cambiamento Paradigmico nella Sperimentazione Farmaceutica

La FDA ha annunciato un cambiamento significativo nella sperimentazione dei farmaci, sostituendo gli animali con metodologie innovative.

• La FDA intende utilizzare New Approach Methodologies (NAM) per lo sviluppo di farmaci.

• Si prevede di iniziare con gli anticorpi monoclonali per eliminare gradualmente l'uso di animali.

• Le NAM includono modelli computazionali, colture cellulari e organoidi.

Organoidi: Strumenti per la Medicina Personalizzata

Gli organoidi rappresentano una nuova frontiera nella medicina rigenerativa e personalizzata.

• Gli organoidi sono strutture tridimensionali coltivate in vitro che imitano organi umani.

• Offrono opportunità per la ricerca applicata, scoperta di farmaci e riposizionamento di farmaci.

• Possono ridurre gli effetti collaterali e migliorare l'efficacia delle terapie.

Applicazioni e Benefici degli Organoidi

L'uso degli organoidi ha molteplici applicazioni nel campo della salute.

• Terapie rigenerative e anti-invecchiamento.

• Minori eventi avversi e effetti collaterali.

• Ottimizzazione e riposizionamento di farmaci già approvati.

Il Ruolo del Comitato Scientifico

Un team di esperti guida la ricerca e lo sviluppo presso l'Organoids Factory.

• Dott. Vincenzo Di Donna: specialista in chirurgia vascolare e medicina rigenerativa.

• Prof. Geppino Falco: esperto di biologia molecolare con 57 pubblicazioni.

• Dott.ssa Giuliana Napolitano: ricercatore capo presso l'Università di Napoli.

Medicina Personalizzata: Verso un Futuro Sostenibile

La medicina personalizzata si sta affermando come alternativa alla medicina tradizionale.

• Si prevede che il mercato della medicina personalizzata raggiunga 1,7 trilioni di dollari entro il 2026.

• L'approccio tradizionale ha un'efficacia del 30-60% e comporta rischi di effetti collaterali.

• La medicina personalizzata è adattata alle caratteristiche individuali del paziente.

Impatto Sociale ed Economico della Medicina Personalizzata

L'implementazione della medicina personalizzata avrà effetti significativi sulla salute pubblica.

• Riduzione dei costi e dei fallimenti associati all'approccio "taglia unica".

• Miglioramento della risposta alla farmacoterapia e riduzione delle complicanze.

• Opportunità di mercato in crescita per malattie complesse come il diabete.

Organoids Factory: Un Futuro Innovativo

L'Organoids Factory si propone come un centro di eccellenza per la medicina personalizzata.

• Sviluppo di laboratori per derivare organoidi da cellule staminali dei pazienti.

• Focus su diagnostica, terapia personalizzata e monitoraggio delle malattie.

• Collaborazione con pazienti, clinici, istituti di ricerca e aziende farmaceutiche.

www.mhare.com info@mhare.com

Restauri facili: la vhf EASE CLASS

La EASE CLASS di vhf è sinonimo di restauri dentali di alta qualità uniti alla semplicità. Oltre alla struttura compatta e al peso ridotto, queste macchine si distinguono, ad esempio, per il fatto che funzionano completamente senza aria compressa e brillano per la loro facilità di manutenzione. Le macchine lavorano in un flusso di lavoro digitale aperto e sono quindi molto flessibili nell'uso.

E5: fresatura di dischi con facilità

La E5 è una fresatrice a secco per dischi che, grazie ai suoi cinque assi, è in grado di eseguire con la massima precisione anche le indicazioni più complesse. Con la E5 è possibile fresare a secco quasi tutti i materiali, dalle materie plastiche ai materiali compositi, fino allo zirconio e alle leghe sinterizzate CoCr. Grazie al suo supporto per dischi a forma di C, la E5 può lavorare anche i denti anteriori con un angolo di 90°.

E4: a umido o a secco – lavorazione di blocchi per tutti

La E4 è una macchina altamente innovativa per la lavorazione a umido e a secco di blocchi. Questa macchina consente agli studi dentistici di entrare in modo semplice ed economico alla Same-Day-Dentistry, a vantaggio sia dei dentisti che dei pazienti. Grazie alla sua architettura aperta, l'E4 può essere combinata con lo scanner intraorale preferito, qualsiasi software CAD e tutti i materiali adatti ai singoli casi dei pazienti. Ciò rende l'E4 il cuore dell'intero flusso di lavoro. La tecnologia purewater consente inoltre la lavorazione a umido senza additivi abrasivi, il che significa smaltimento semplice e costi di esercizio ridotti.

E3: produzione di allineatori come su una catena di montaggio

La E3 è stata sviluppata appositamente per il taglio di mascherine come allineatori, bite dentali, mascherine anti-bruxismo e altre varianti, fino ai paradenti sportivi. Automatizza un processo che finora era caratterizzato da un elevato lavoro manuale. Poiché un allineatore viene lavorato in soli 45 secondi circa, l'E3 non solo fa risparmiare molto tempo rispetto alla produzione manuale, ma offre anche l'elevata precisione della produzione CNC.

Assenza di aria compressa premiata e architettura aperta

L'assenza di aria compressa nei modelli E5 ed E4 è resa possibile dal nuovo airtool. Questo utensile è stato brevettato da vhf e ha già ricevuto diversi premi, tra cui il German Innovation Award. È dotato di pale a turbina che generano un forte flusso d'aria grazie all'elevata velocità di rotazione del mandrino. In questo modo il pezzo rimane libero da trucioli e polvere.

L'architettura aperta del sistema EASE CLASS semplifica l'ingresso nella produzione digitale di restauri dentali. Le macchine si integrano così perfettamente nei processi dello studio. E con il software CAM dentalcam è possibile iniziare subito. L'intera gamma EASE CLASS è quindi all'insegna del motto Plug & Mill: disimballare, accendere, fresare!

Per saperne di più: vhf.com

Salute e luminosità del sorriso: Quali tecnologie?

Prof. Gianna Maria Nardi

a ricerca scientifica, processo sistematico per acquisire nuove conoscenze, è stata stimolata ad indagare gli approcci clinici e le tecnologie sofisticate che permettano di produrre salute del cavo orale, attenzione che è rivolta non esclusivamente all’effetto di una patologia ed alla riabilitazione dei danni procurati, ma deve essere focalizzata preventivamente sulla sua eziologia. La salute del cavo orale è legata a protocolli operativi di prevenzione, che devono essere in grado di essere efficaci nel coniugare salute e bellezza, poiché il sorriso è il più importante strumento di comunicazione e di socializzazione e permette salute psico-fisica ambientale. L’efficienza di noi operatori sanitari passa dalla decisione di scelta dei protocolli operativi opportuni, scelti in maniera dinamica in base alla situazione clinica, sia del cavo orale che sistemica della persona assistita, condividendo e concordando in maniera attiva il piano terapeutico di prevenzione. La diagnosi e l’indicazione deve portare l’igienista dentale durante i follow-up ad una attenta osservazione clinica, intercettazione precoce degli indici di rischio ed un approccio motivazionale personalizzato e vanno stimolate eventuali modifiche comportamentali necessarie. La luminosità del sorriso deve essere inserita nei protocolli di prevenzione poiché l’approccio cosmetico potrebbe diventare per l’operatore una strategia per stimolare, nelle persone assistite di ogni fascia d’età, una maggiore attenzione verso comportamenti salutari ed una migliore efficacia dei protocolli domiciliari. L’evoluzione tecnologica ha permesso di poter utilizzare il principio attivo PAP, una formula a base di acido ftalimidoperossicaproico (PAP), privo di perossido di idrogeno e/o di carbamide.

BRILLIANT LUMINA (Coltene) oltre alla mininvasività del principio attivo sulla superficie dentale, risulta essere un protocollo operativo ergonomico: 3 gocce di liquido attivatore all’interno del barattolino di gel sbiancante da 2 ml, mescolato con una spatolina per 60 secondi, fino ad ottenere una massa omogenea, che, in seguito all’apposizione e fotopolimerizzazione della diga liquida HySolate Liquid Dam per la protezione dei tessuti gengivali, viene applicato sulle superfici dentali, eseguendo 4 step da 15 minuti ognuno, aspirando e rimuovendo il gel dopo ogni step. La luminosità del sorriso ottenuta, non può prescindere dai corretti stili di vita, e dal controllo dell’eubiosi del cavo orale professionale e domiciliare. Per il controllo chimico del biofilm batterico vanno scelti principi attivi che non attivino discromie. Listerine Total Care Gusto Delicato, grazie alla

presenza dei 4 Oli essenziali (ti molo, eucaliptolo, mentolo, salici lato di metile), Zinco e Fluoruro di sodio (450 ppm) è la protezione più completa e avanzata di Liste rine. L’utilizzo controlla l’attività batterica, protegge dal processo carioso, aiuta a prevenire l’in fiammazione gengivale e controlla l’attività batterica nello spazio interdentale. Altri aspetti significativi sono il rallentamento della formazione del tartaro, l'alito fresco e il mantenimento del sorriso luminoso. Nel caso di infiammazioni gengivali presenti, prima dello sbiancamento, l’ozonoterapia con olio di oliva ozonizzato, Ialozon gel (GEMAVIP) risulta essere un ausilio opportuno sia nella composizione in gel, lenitivo e disinfettante su eventuali traumatismi sulle mucose, che per il controllo dell’attività batterica e antimicotica, con irrigazioni sopra e sotto gengivali con acqua all'olio d'oliva ozonizzato Trolley Komby Dental Ozone Active (GEMAVIP).

Bibliografia:

1. Milleman J, Bosma ML, McGuire JA, Sunkara A, McAdoo K, DelSasso A, Wills K, Milleman K. “Comparative Effectiveness of Toothbrushing, Flossing and Mouthrinse Regimens on Plaque and Gingivitis: A 12-week virtually supervised clinical trial.” J Dent Hyg. 2022 Jun;96(3):21-34. PMID: 35654564. https://pubmed.ncbi.nlm.nih. gov/35654564/

2. Bosma ML, McGuire JA, Sunkara A, DelSasso A, Milleman J, Milleman K. Efficacy of flossing and mouth rinsing regimens on plaque and gingivitis: a randomized clinical trial. BMC Oral Health. 2024 Feb 3;24(1):178. PMID: 38310236.https://pubmed.ncbi. nlm.nih.gov/38310236/

3. Pardo A, Signoriello A, Brancato G, Brancato R, Messina E, Faccioni P, Marcoccia S, Nardi GM, Lombardo G, "Effectiveness of Ozone Therapy in Non-Surgical Periodontal Treatment: A Meta-Analysis of Topical Applications". J. Clin. Med. 2025, 14, 5124

4. Grassi R, Ciccone F, De Falco D, Castaldi M, Agneta MT, Nardi GM, Petruzzi M, "Clinical and Microbiological Study on Local Application of an Ozonated Olive Oil Gel in the Periodontal Pockets: A Randomized Double-Blind Trial, J. Clin. Med. 2025, 14, 5182

VIII Congresso Nazionale

l Congresso è pensato per coloro che intendono potenziare le proprie competenze cliniche, con particolare attenzione all’identificazione dei principali indicatori di salute orale. L’accurata osservazione dei segni clinici è infatti il primo passo per definire piani di prevenzione personalizzati ed efficaci. In un contesto in cui innovazione e tecnologia rappresentano strumenti sempre più centrali nella pratica quotidiana, il congresso offrirà un’occasione unica per esplorare l’evoluzione del ruolo dell’i-

gienista dentale. L’integrazione tra competenze tecnico-scientifiche e strumenti digitali consentirà di rafforzare l’efficacia diagnostica, migliorare la collaborazione interprofessionale e contribuire attivamente alla promozione della salute dei pazienti. Il programma alternerà momenti teorici ad esperienze pratiche, offrendo un aggiornamento dinamico e altamente professionalizzante. L’obiettivo è offrire ai professionisti un’esperienza formativa concreta, utile e immediatamente spendibile nel proprio ambito di lavoro.

Salute Orale e Medicina preventiva di Precisione: tecnologia, innovazione e prospettive future nell’attività clinica

Roma, 6-7 febbraio 2026

Dipartimento di Scienze Odontostomatologiche e Maxillo Facciali Sapienza Università di Roma

- Consigliere

VIII Congresso Nazionale A T A S I O
DIRETTIVO
Gianna Maria Nardi - Presidente
Silvia Sabatini - Vice Presidente
Matteo Castaldi- Segreteria Generale
Arcangela Colavito – Tesoriere
Michela Antonioni - Consigliere
Giovanna Acito - Consigliere
Lorella Chiavistelli

PRESIDENTI

Antonella Polimeni

Ugo Covani

COORDINAMENTO SCIENTIFICO

Gianna Maria Nardi

Roberta Grassi

COMITATO SCIENTIFICO

Felice Roberto Grassi

Fabrizio Guerra

Marta Mazur

Livia Ottolenghi

Gaspare Palaia

Andrea Pilloni

Umberto Romeo

Gianluca Tenore

Iole Vozza

18th International

Meeting

Il Chirone 19 - 20 settembre 2025

LA SALUTE ORALE E L’INVECCHIAMENTO DELLA POPOLAZIONE: s de e soluzioni

ORAL HEALTH AND POPULATION AGEING: Challenges and Solutions

Best Western Plus Hotel Universo Via Principe Amedeo, 5/B, 00185 Roma RM

VENERDÍ 19 SETTEMBRE 2025

08.30

09.00

09.15

Registrazione dei partecipanti

Apertura dei lavori congressuali

Ugo Covani

Intervento di apertura della Magni ca Rettrice della Sapienza Università di Roma e Presidente del Comitato Scienti co

Antonella Polimeni

Moderatori: Maurizio Bossù, Michele Cassetta

09.30 La Geroscienza: L’invecchiamento Fra Biologia e Patologia

Ugo Covani

09.45 Riconosciamo insieme il paziente anziano parodontale: la visione team approach igienista/parodontologo

10.30

11.15

11.45

Andrea Pilloni

Salute e orale e funzioni cognitive

Giovambattista Desideri

Pausa: visita all‘area tecnologica

Salute orale e prospettiva di vita in aumento: nuove s de e nuove soluzioni

Gianluca Russo

12.15 Il ruolo dell’igienista dentale dal bambino all’anziano

Laura Strohmenger

12.30 La mucosa orale e le sue patologie nel paziente che invecchia

Umberto Romeo

13.00 Igiene orale traslazionale: dal controllo locale dell'in ammazione alla prevenzione sistemica

13.30

14.30

14.45

Elisabetta Ferrara

Pausa

Ottimizzazione della salute orale nell'anziano: remineralizzazione e controllo dell'in ammazione

Piero Trabalza

Moderatori: Iole Vozza, Fabrizio Guerra

Salute orale e invecchiamento di successo: verso l’Odontoiatria Positiva

Eugenio Luigi Iorio

15.30 Non bruciamoci il sorriso: senza fumo si può

Alessandro Chiesa, Gianna Maria Nardi

16.00 Pausa: visita all’area tecnologica

16.30 Microbi DNA e Longevità: La storia della Blue zone attraverso la Medicina Orale

Germano Orrù

17.00 Oltre il Tempo: Nuove Frontiere dell’Implantologia per la Terza Età

Roberto Grassi, Fabio Scarano Catanzaro, Roberta Grassi

17.30 Metabolismo e longevità

Antonio Pelliccia, Flora Sculco, Annalisa Fregola

18.30 Chiusura dei lavori congressuali

SABATO 20 SETTEMBRE 2025

08.45 Apertura dei lavori congressuali

Moderatori: Annamaria Genovesi, Augusta Virno

09.00 Insieme per rimuovere gli ostacoli e per donare il sorriso agli anziani

09.30

08.30

09.00

09.15

09.30

09.45

10.30

11.15

11.45

12.15

12.30

13.00

13.30

14.30

14.45

15.30

16.00

16.30

Laila Perciballi

Curare con i dati, per prendersi cura delle persone

Sergio Pillon

10.00 Le funzioni gnatologiche: un fattore chiave per una sana longevità

Carlo Di Paolo

10.30 La percezione del colore dentale nelle diverse età della vita

Marta Mazur

11.00 Pausa: visita all‘area tecnologica

11.30 Oltre l’età, dentro la cura: incontrare l’anziano nella dimensione della salute orale

Maria Teresa Agneta

12.00

Salute orale, invecchiamento e malattie cardiovascolari: dalla ricerca di base alla clinica

Alessia Pardo

12.30 Ascoltare, assistere, agire: il giusto approccio alla salute orale dell’anziano

Gianna Maria Nardi

13.00 Chiusura dei lavori del 18th International Meeting Accademia Il Chirone

SPONSOR

FRIDAY 19 SEPTEMBER 2025

Participants registration

Opening of the Congress proceedings

Ugo Covani

Opening Speech by the Chancellor of Sapienza University of Rome and President of the Scienti c Committee

Antonella Polimeni

Chairmen: Maurizio Bossù, Michele Cassetta

Geroscience: Ageing Between Biology and Pathology

Ugo Covani

Recognizing the Elderly Periodontal Patient Together: A Team Approach from Hygienist and Periodontist

Andrea Pilloni

Oral Health and Cognitive Functions

Giovambattista Desideri

Break: Visit to the Technology Area

Oral Health and Increasing Life Expectancy: New Challenges and New Solutions

Gianluca Russo

The Role of the Dental Hygienist from Childhood to Old Age

Laura Strohmenger

The Oral Mucosa and Its Pathologies in the Ageing Patient

Umberto Romeo

Translational Oral Hygiene: From Local In ammation Control to Systemic Prevention

Elisabetta Ferrara

Break

Optimizing Oral Health in the Elderly: Remineralization and In ammation Control

Piero Trabalza

Chairmen: Iole Vozza, Fabrizio Guerra

Oral Health and Successful Ageing: Toward Positive Dentistry

Eugenio Luigi Iorio

Don’t Burn Your Smile: Smoke-Free Is Possiblesation and Sustainability

Alessandro Chiesa, Gianna Maria Nardi

Break: Visit to the Technology Area

Microbial DNA and Longevity: The Story of the Blue Zone Through Oral Medicine

Germano Orrù

17.00 Beyond Time: New Frontiers in Implantology for the Elderly

17.30

18.30

08.45

Roberto Grassi, Fabio Scarano Catanzaro, Roberta Grassi

Metabolism and Longevity

Antonio Pelliccia, Flora Sculco, Annalisa Fregola

Closing of the Congress Sessions

SATURDAY 20 SEPTEMBER 2025

Opening of the Congress Sessions

Chairmen: Annamaria Genovesi, Augusta Virno

09.00 Together to Remove Barriers and Restore Smiles to the Elderly

Laila Perciballi

09.30 Healing with Data, Caring for People

Sergio Pillon

10.00

10.30

Gnathological Functions: A Key Factor for Healthy Longevity

Carlo Di Paolo

Tooth Color Perception Across Di erent Life Stages

Marta Mazur

11.00 Break: visit to the technological area

11.30 Beyond Age, Into Care: Meeting the Elderly Within the Dimension of Oral Health

Maria Teresa Agneta

12.00

Oral Health, Ageing, and Cardiovascular Diseases: From Basic Research to Clinical Practice

Alessia Pardo

12.30 Listen, Assist, Act: The Right Approach to Oral Health in the Elderly

Gianna Maria Nardi

13.00

Closing of the 18th International Meeting Accademia Il Chirone

ISCRIZIONI

L’iscrizione è gratuita ma obbligatoria e dà diritto alla partecipazione alle sessioni scienti che e all’attestato di partecipazione. Scansiona il qr-code e compila il form on-line

Website www.accademiailchirone.it Segreteria organizzativa Sorriso.it Srl Via Giovanni Falcone10 - 70018 Rutigliano (BA) Per informazioni congresso.accademiailchirone@gmail.com

Referente: Stefania Nanni (cell. +39 349 8164735) Elaborazione e gra ca a cura di

redazione@infomedix.it

"Ogni incontro è una possibilità. Ogni possibilità è una scelta. Ogni scelta è un inizio." Erri De Luca

Una scintilla, una voce, una missione

Essere

ASO oggi: il mio viaggio con IDEA

ra il 2018 quando, partecipando a un corso di aggiornamento a Torino, incontrai per la prima volta l’associazione IDEA Italian Dental Assistant. Un incontro che ha rappresentato una svolta profonda, sia nella mia vita personale che nel mio percorso professionale. All’epoca non potevo immaginare che quel momento avrebbe segnato l’inizio di un viaggio fatto di stimoli nuovi, consapevolezza crescente e, soprattutto, passione ritrovata.

Una passione che, con il tempo, si è trasformata in voce: una voce che oggi mi permette di raccontare, condividere e contribuire attivamente alla valorizzazione del ruolo dell’Assistente di Studio Odontoiatrico. Non è stato un cambiamento immediato, ma un percorso fatto di incontri significativi, sfide superate, nuove competenze acquisite e, soprattutto, di una comunità che mi ha accolta e sostenuta.

Fu in quell’occasione che conobbi Maria Teresa Schirripa, vicepresidente dell’associazione: una persona capace di trasmettere con spontaneità il suo entusiasmo e la sua profonda dedizione alla nostra professione. Quel primo scambio fu per me una scintilla. Lavoravo già dal 2005 come ASO e avevo sempre amato il mio lavoro, ma in quel periodo sentivo di aver perso gli stimoli necessari per affrontare con energia le mie giornate. La conoscenza con IDEA fu l’inizio di una rinascita. Mi iscrissi subito all’associazione, diventandone socia. Da lì, giorno dopo giorno, riscoprii un senso di appartenenza, il desiderio di contribuire in prima persona e una nuova motivazione. Decisi di diventare socia attiva, per dare voce, insieme a IDEA, alla nostra categoria. Incontrai in seguito la presidente Rossella Abbondanza, una figura di riferimento per dedizione, determinazione e costanza. La sua passione divenne per me un vero motore di cambiamento: prima interiore, poi rivolto agli altri colleghi. Cominciai a mettermi in gioco, a esplorare nuove possibilità, ad assumermi responsabilità che non avevo mai considerato prima. Anche io, nel mio piccolo, potevo fare molto.

Mi vennero affidati compiti organizzativi: mi occupavo della logistica degli eventi, dalla gestione degli spostamenti ai pernottamenti, dalle spedizioni alla calendarizzazione delle attività. Con il tempo entrai nel Consiglio Direttivo dell’associazione e nel 2023 assunsi con orgoglio il ruolo di Tesoriere. Grazie al supporto e alla fiducia di Rossella e Maria Teresa, ho avuto modo di scoprire attitudini e talenti che non sapevo di possedere.

Un giorno, Rossella mi propose di scrivere un articolo proprio per questa rivista. Accettai con titubanza, quasi con timore, ma fu una rivelazione: scrivere mi veniva naturale. Da allora non ho più smesso. Ho frequentato corsi di scrittura creativa, ho scritto racconti e uno di questi è stato recentemente pubblicato in una raccolta venduta al Salone del Libro. Una soddisfazione profonda, del tutto inaspettata, che mi ha dato grande fiducia. Gli stimoli, nel frattempo, continuavano ad arrivare. Quando mi è stato chiesto di partecipare come relatrice alla sessione ASO del 1° Congresso della Fondazione L. Castagnola & N. Perrini – “Universo Bimbo: la prevenzione inizia allo spuntare del primo dentino” (22-23 novembre 2024, Montecatini Terme), ho accettato senza esitazioni, pur non avendo mai parlato in pubblico prima di allora. Ho scelto un tema che conoscevo molto bene, perché lo vivo quotidianamente nello studio in cui lavoro: “Il ruolo dell’ASO nella gestione del paziente gnatologico: esame elettromiografico, kinesiografico, TENS e cartella clinica”. Studiare, approfondire e cercare un modo chiaro ed efficace per comunicarlo ai colleghi è stato un processo intenso e molto arricchente. Il giorno della presentazione ero emozionatissima, ma una volta davanti alla platea ho percepito una vibrazione positiva, un’energia viva che mi ha sostenuta fino alla fine. Con me, in quella sessione, erano presenti anche le colleghe e socie attive Roberta Giunta e Brandalise Stefania, che hanno relazionato con passione e competenza.

v

Toccante è stato il momento in cui il presidente della Fondazione, Terzo Fondi, ha espresso la propria soddisfazione nel vedere le ASO protagoniste di un evento formativo così importante. Un ricordo indelebile, che porterò sempre con me. Pochi mesi dopo, Sweden & Martina ci ha affidato la cura della sessione ASO del 21° International Symposium (19-21 giugno 2025, Padova), e Rossella ha scelto di rinnovarmi la sua fiducia. Il tema proposto era affascinante, ma al tempo stesso complesso: “Empatia e professionalità: l’accoglienza che fa la differenza”. Per affrontare al meglio questa nuova sfida, ho scelto di prepararmi con spirito di ricerca e passione, approfondendo letture fondamentali come Intelligenza emotiva di Daniel Goleman e due preziosi volumi del neuroscienziato Giacomo Rizzolatti, In te mi specchio e So quel che fai. Volevo che la mia relazione si fondasse su basi scientifiche solide, ma anche riuscire a trasmettere con autenticità quanto empatia e accoglienza siano competenze essenziali nella nostra quotidianità professionale. Scrivere la relazione e realizzare la presentazione PowerPoint è stato un processo coinvolgente, stimolante, a tratti commovente proprio per la delicatezza dell’argomento. Il 20 giugno, nella sessione dedicata alle assistenti, sono intervenuti con me Rossella Abbondanza, MariaTeresa Schirripa con il Dott. Andrea Bianco, Valentina Lestingi e la Dott.ssa Stefania Francone, che collabora con il nostro studio da anni. L’aula era gremita di colleghe motivate, interessate, partecipi. Un momento di grande valore umano e professionale.

Queste esperienze mi hanno insegnato moltissimo. Mi hanno dimostrato che uscire dalla zona di comfort è necessario per crescere davvero. Solo affrontando ciò che ci intimorisce possiamo scoprire i nostri punti di forza, superare i limiti che crediamo di avere, e diventare versioni più consapevoli di noi stessi.

Grazie a IDEA ho ripreso contatto con chi sono davvero. Ho riscoperto la mia voce, e ho trasformato la passione in consapevolezza e azione. Oggi continuo a mettermi in gioco, perché credo profondamente nel valore del nostro ruolo e nella bellezza del nostro lavoro.

IDEA rappresenta, per molti di noi, molto più di un’associazione: è una comunità viva che accoglie, sostiene e valorizza. È stata una scintilla, uno spazio di crescita e confronto, dove ritrovare motivazione e scoprire nuove risorse. In un contesto in cui il ruolo dell’ASO fatica ancora a essere pienamente riconosciuto, rappresenta una voce forte e corale, capace di fare davvero la differenza.

A chi leggerà questo articolo, voglio lasciare un messaggio semplice, ma sincero: credete in voi stessi. A volte basta un incontro, una parola, uno stimolo, per cambiare direzione. Dentro ognuno di noi c’è una forza straordinaria, pronta a emergere. Sta a noi darle ascolto, coltivarla e farla brillare.

Da sinistra a destra: Rossella Abbondanza, Presidente I.DE.A., Mariateresa Schirripa, Vice Presidente I.DE.A. e Cinzia Mingrone, Tesoriere nazionale I.DE.A.
Cinzia Mingrone

ODON TO IATRI A ITAL IANA

Distribuzione dei 20.000+ contatti

Infomedix Odontoiatria Italiana è l'agenzia internazionale di editoria e marketing che pianifica per te la giusta strategia per aumentare il valore del tuo brand in tutto il mondo.

Prossime Fiere:

VIDEC Hanoi 2025 [21-23/08/2025 - Hanoi, Vietnam]

Target - distributori, opinion leaders, industrie dentali, associazioni internazionali Obiettivi principali - rilevanza del marchio nel commercio internazionale, lancio di prodotti, acquisizione di nuovi distributori... e molto altro in base alle tue esigenze

Central Asia Dental Expo 2025 (CADEX) [09-11/10/2025 - Kazakistan] SOLD OUT

DenTech Shanghai 2025 [23-26/10/2025 - Shanghai, Cina]

Expodental Madrid 2026 [11-13/03/2026 - Madrid, Spagna]

IDEM Singapore 2026 [17-19/04/2026 - Singapore, Singapore]

Per informazioni e per conoscere altri eventi: 0761 352198 - redazione@infomedix.it

Il laser nella pratica clinica quotidiana dell’odontoiatra

Introduzione

Negli ultimi anni, il laser ha assunto un ruolo centrale nella pratica odontoiatrica quotidiana. Grazie alle sue proprietà fisiche e biologiche, permette di affrontare numerose procedure in modo più efficace, minimamente invasivo e confortevole per il paziente. La crescente richiesta di trattamenti rapidi, indolori e dai risultati clinici prevedibili ha reso il laser uno strumento prezioso nello studio odontoiatrico moderno. La sua capacità di tagliare, vaporizzare, coagulare o biostimolare i tessuti consente di integrare questa tecnologia in tutte le branche odontoiatriche, dalla chirurgia alla conservativa, fino alla pedodonzia. L’obiettivo di questo articolo è fornire una panoramica pratica sull’utilizzo quotidiano del laser in odontoiatria, illustrandone vantaggi, limiti e principali applicazioni cliniche.

Tipologie di laser in odontoiatria

I laser più comunemente utilizzati in odontoiatria si distinguono per la lunghezza d’onda, che determina la loro interazione con i diversi tessuti. I laser a diodi (810–980 nm) sono indicati per i tessuti molli grazie alla loro capacità di coagulazione e taglio. Il laser Er:YAG (2940 nm) e il laser Er,Cr:YSGG (2780 nm) sono efficaci sia sui tessuti duri (smalto, dentina, osso) sia su quelli molli, grazie alla loro elevata affinità per l’acqua e l’idrossiapatite. Il laser CO₂ (10600 nm) è ideale per la chirurgia dei tessuti molli grazie alla sua grande potenza di vaporizzazione. Il laser Nd:YAG (1064 nm) viene spesso utilizzato in parodontologia per la sua capacità di penetrare in profondità e decontaminare le tasche parodontali. Ogni tipo di laser ha vantaggi specifici e va selezionato in base all’obiettivo terapeutico e al tipo di tessuto da trattare.

Conservativa

In odontoiatria conservativa, il laser viene utilizzato per la preparazione delle cavità cariose senza l’uso di frese rotanti. In particolare, il laser Er:YAG consente di rimuovere la carie selettivamente, riducendo il rischio di microfratture e aumentando il comfort del paziente. In molti casi, l’anestesia non è necessaria, grazie alla minore trasmissione di vibrazioni e calore. Inoltre, il laser crea una superficie dentinale micro-ruvida che migliora l’adesione dei materiali da restauro. Questo si traduce in un miglioramento dell’esperienza del paziente e in una maggiore predicibilità clinica. Anche la disinfezione della cavità può essere potenziata con l’uso combinato di laser a diodi per eliminare i batteri residui.

PREPARAZIONE DI CAVIT À AL COLLETTO TRATTATA CON LASER

AD ERBIO (2940 NM), E SUCCESSIVA RICOSTRUZIONE ESTETICA IN COMPOSITO IN UNICA SEDUTA

Endodonzia

L’endodonzia ha beneficiato notevolmente dell’introduzione del laser, soprattutto nella fase di disinfezione del sistema canalare. I laser Nd:YAG e a diodi sono utilizzati per la decontaminazione profonda dei canali, grazie alla loro capacità di penetrare nei tubuli dentinali e distruggere i batteri anaerobi. L’impiego del laser Er:YAG in modalità PIPS (Photon Induced Photoacoustic Streaming) o SWEEPS consente l’attivazione fotoacustica degli irriganti canalari, migliorandone la penetrazione e l’efficacia. Questo approccio ha dimostrato una maggiore efficacia nella rimozione del biofilm batterico e dei detriti, rispetto alle tecniche convenzionali. L’uso del laser in endodonzia può inoltre ridurre il rischio di insuccessi e aumentare il tasso di guarigione periapicale.

Parodontologia

In parodontologia, il laser è utilizzato per la decontaminazione delle tasche parodontali, la riduzione della profondità di sondaggio, la biostimolazione e la chirurgia parodontale. Il laser Nd:YAG, grazie alla sua azione battericida profonda e alla coagulazione selettiva, trova largo impiego nelle tecniche come la LANAP (Laser-Assisted New Attachment Procedure). Il laser Er:YAG è utilizzato per la rimozione del tartaro e del tessuto epiteliale infiammato all’interno delle tasche. Numerosi studi hanno evidenziato una rigenerazione dei tessuti parodontali e una maggiore aderenza clinica dei pazienti ai protocolli post-terapia. La biostimolazione laser (LLLT) accelera inoltre la guarigione, riducendo dolore e infiammazione.

Chirurgia orale

Il laser rappresenta uno strumento di grande precisione nella chirurgia orale. Viene utilizzato in interventi di frenulectomia, gengivectomia, escissione di fibromi, epulidi e altri tessuti molli. Il taglio laser è caratterizzato da emostasi immediata, minimo trauma ai tessuti circostanti e riduzione significativa del sanguinamento intraoperatorio. La guarigione è spesso più rapida, con minore edema e dolore post-operatorio. Inoltre, il laser sterilizza contestualmente l’area operatoria, riducendo il rischio di infezione. Tutti questi vantaggi rendono il laser un’alternativa efficace e moderna al bisturi tradizionale.

Implantologia

Il laser trova numerose applicazioni in implantologia, in particolare nella gestione delle perimplantiti. I laser a diodi e Nd:YAG sono efficaci per la decontaminazione delle superfici implantari e dei tessuti molli infetti, mentre l’Er:YAG può essere impiegato per la rimozione sicura del biofilm senza danneggiare l’impianto. È anche utile nella fase di scopertura implantare post-integrazione, permettendo un accesso preciso con ridotto sanguinamento. Inoltre, consente un modellamento atraumatico del tessuto gengivale peri-implantare per ottimizzare l’estetica e la salute dei tessuti molli.

Pedodonzia

Nei pazienti pediatrici, il laser rappresenta una rivoluzione terapeutica. L’assenza di contatto diretto e vibrazioni consentono di effettuare trattamenti conservativi senza anestesia, riducendo lo stress del bambino e facilitando la collaborazione. Il laser è indicato anche per frenulectomie, gengiviti, aftosi e trattamento di lesioni traumatiche. La biostimolazione accelera la guarigione e riduce il dolore. Grazie a questi vantaggi, il laser si integra perfettamente nei protocolli di odontoiatria pediatrica moderna, offrendo un approccio minimamente invasivo e psicologicamente più accettabile per i piccoli pazienti.

Estetica

L’estetica del sorriso è oggi una componente imprescindibile della pratica odontoiatrica moderna.

I pazienti non cercano solo salute orale, ma anche armonia, simmetria e bellezza nel proprio sorriso.

In questo contesto, il laser rappresenta una delle tecnologie più innovative e versatili per eseguire interventi estetici in modo minimamente invasivo, preciso e confortevole. L’utilizzo del laser in odontoiatria estetica consente interventi rapidi, sicuri, spesso senza anestesia, con tempi di guarigione molto ridotti rispetto alle tecniche convenzionali.

Principali applicazioni del laser in estetica odontoiatrica

1. Gingivoplastica e gengivectomia estetica

Il laser è indicato per la modellazione dei margini gengivali (gingivoplastica) o la rimozione di eccesso di tessuto (gengivectomia). Viene utilizzato per:

• Creare simmetria tra le arcate

• Correggere profili gengivali disarmonici

• Migliorare la proporzione tra denti e gengiva

• Il laser consente tagli netti, coagulazione immediata e assenza di suture, garantendo un risultato estetico più prevedibile.

2. Correzione del “gummy smile”

Nei pazienti che mostrano una quantità eccessiva di gengiva durante il sorriso (gummy smile), il laser rappresenta la soluzione ideale. La procedura consiste nella rimozione selettiva di tessuto gengivale in eccesso, senza coinvolgimento chirurgico osseo. I benefici includono:

• Precisione millimetrica

• Meno edema post-operatorio

• Risultati estetici immediati e stabili

3. Depigmentazione gengivale

In presenza di pigmentazioni melaniniche scure (frequenti in pazienti con fototipo alto), il laser può rimuovere selettivamente gli strati superficiali della mucosa gengivale, schiarendo visibilmente il tessuto senza danneggiare le strutture profonde. Si ottengono gengive dal colore più omogeneo e roseo, con effetti stabili nel tempo.

4. Trattamenti estetici periorali

Alcuni laser (in particolare a diodo o Er:YAG) sono utilizzati anche per fini paraodontali o estetici extraorali, come:

• Riduzione di rughe superficiali labiali

• Trattamento di macchie pigmentate o cheratosi

• Stimolazione del collagene in zona periorale

• Rimozione angiomi.

RIMOZIONE CON LASER A DIODI DI ANGIOMA VENOSO DEL LABBRO INFERIORE. L’ANGIOMA AL LABBRO È UNA MALFORMAZIONE DEI VASI

CAPILLARI DEL LABBRO CHE SI MANIFESTA COME UNA MACCHIA O UN NODULO ROSSO O VIOLACEO. PU Ò

ESSERE PRESENTE ALLA NASCITA O SVILUPPARSI IN SEGUITO, A QUALSIASI ET À

5. Sbiancamento dentale laser-assistito

Lo sbiancamento dentale rappresenta uno dei trattamenti estetici più richiesti in odontoiatria.

L’approccio laser-assistito offre numerosi vantaggi rispetto ai metodi tradizionali, sia in termini di rapidità d’azione che di comfort per il paziente. L’energia laser attiva i perossidi sbiancanti, accelerando la reazione chimica e migliorando i risultati clinici.

Meccanismo d’azione

Il laser funge da catalizzatore fotoattivato: Il gel sbiancante (generalmente a base di perossido di idrogeno o carbammide) viene applicato sulla superficie dei denti.

Il laser, selezionato in base alla lunghezza d’onda compatibile, attiva rapidamente il rilascio di radicali liberi ossidanti, responsabili della disgregazione dei pigmenti organici. Il processo è più veloce e più efficace rispetto all’attivazione con lampade LED o luce alogena.

Vantaggi dello sbiancamento laser-assistito

• Tempi ridotti (15-30 minuti per arcata)

• Effetto immediato visibile al termine della seduta

• Minore sensibilità post-operatoria rispetto ai metodi convenzionali

• Controllo localizzato della temperatura

• Sicurezza per lo smalto e per i tessuti molli se ben schermati

Laser utilizzati

• Laser a diodo (810-980 nm): il più utilizzato per attivazione del gel.

• Laser Nd:YAG (1064 nm): più potente, usato con cautela.

• Laser Er:YAG e CO₂: meno frequenti per lo sbiancamento.

Procedura clinica

• Isolamento dei tessuti molli con diga liquida o retrattore gengivale.

• Applicazione del gel sbiancante.

• Attivazione laser con movimenti uniformi e controllati per 30-60 secondi per dente.

• Rimozione e rinnovo del gel (in base al protocollo del prodotto).

• Risciacquo e valutazione del risultato con scala Vita.

• Istruzioni post-trattamento: evitare cibi pigmentanti e fumo per 48 ore.

Indicazioni e controindicazioni

Indicazioni: Macchie da pigmenti alimentari, fumo, invecchiamento

Discolorazioni post-trattamento ortodontico

Pazienti con esigenze estetiche rapide

Controindicazioni:

Ipersensibilità dentinale attiva

Erosioni dello smalto

Carie non trattate

Gravidanza/allattamento

Studi clinici ed evidenze scientifiche

Numerosi studi documentano l’efficacia dello sbiancamento laser-assistito.

Scarpelli F. (2022) evidenzia come il laser a diodo consenta un’ossidazione più controllata e profonda, riducendo al minimo l’irritazione pulpare.

La letteratura internazionale conferma risultati più rapidi e stabili nel tempo rispetto alle tecniche convenzionali.

Attivazione del gel sbiancante con laser a Diodi

Seduta di sbiancamento laser con diodo a 940 nm. Tempo di applicazione per arcata: 20 minuti. Nessun discomfort segnalato.

Prima e dopo il trattamento laser Miglioramento evidente del colore dentale già dopo una singola seduta. Colore passato da A3 a B1 in scala Vita.

Conclusioni

Il laser rappresenta oggi uno strumento indispensabile nella gestione dei trattamenti estetici in odontoiatria. La sua versatilità, sicurezza e precisione offrono un vantaggio significativo per il clinico e un’esperienza migliore per il paziente. L’odontoiatria estetica laser-assistita consente di ottenere risultati eccellenti, prevedibili e stabili, elevando la qualità complessiva delle prestazioni offerte. Il laser si conferma uno strumento essenziale nella pratica clinica quotidiana dell’odontoiatra. L’evoluzione tecnologica ha reso i laser più accessibili, affidabili e versatili.

Il loro impiego consente di migliorare l’efficacia dei trattamenti, ridurre il discomfort post-operatorio e aumentare la soddisfazione del paziente. La formazione specifica e l’adeguata conoscenza dei protocolli clinici sono fondamentali per ottenere risultati ottimali. Il futuro dell’odontoiatria sarà sempre più orientato verso tecnologie mininvasive e il laser rappresenta un ponte concreto tra innovazione e qualità terapeutica.L’integrazione del laser nella pratica quotidiana dell’odontoiatra rappresenta un’opportunità clinica e professionale di valore. Che si tratti di interventi di chirurgia, terapie conservative o trattamenti parodontali, il laser aumenta la precisione, riduce il trauma, migliora l’esperienza del paziente e valorizza l’immagine dello studio. Non si tratta più di una tecnologia “del futuro”, ma di una realtà concreta, ormai accessibile e applicabile in moltissimi ambiti dell’odontoiatria moderna.

Bibliografia essenziale

1. Parker S. Lasers in Dentistry: State of the Art. Dent Clin North Am. 2004.

2. Gutknecht N. Proceedings of the WFLD Laser Congress. 2017.

3 .Moritz A. Oral Laser Application. Quintessence Publishing.1. Parker S. *Laser in Dentistry*. Br Dent J. 2007;202(1):21–31.

4. Gutknecht N, Franzen R, Meister J, et al. *Evidence-based assessment of the applications of lasers in dentistry*. Int J Esthet Dent. 2015;10(Special Issue):334–346.

5 .Jha K, Gupta A, Nagpal A, et al. *Lasers in dentistry: A review*. Int J Adv Health Sci. 2015;1(12):18–27.

6. Martens LC. *Laser technology in pediatric dental treatment: A review*. J Oral Laser Appl. 2003;3(3):165–173.

7.Cobb CM. *Clinical significance of non-surgical periodontal therapy: An evidence-based perspective of scaling and root planing with and without adjuncts*. J Clin Periodontol.

2002;29 Suppl 2:22–32.

8. Miserendino LJ, Pick RM. *Lasers in Dentistry*. Chicago: Quintessence Publishing; 1995.

9. Moritz A. *Oral Laser Application*. Berlin: Quintessence Publishing; 2006.

10. Schwarz F, Aoki A, Becker J, Sculean A. *Laser application in non-surgical periodontal therapy: A systematic review*. J Clin Periodontol. 2008;35(Suppl 8):29–44.

11. Convissar RA. *Principles and Practice of Laser Dentistry*. 2nd ed. St. Louis: Mosby Elsevier; 2015.

12. Bornstein E, Maiman T. *A practical guide to laser dentistry*. Dent Today. 2012;31(5):100–105.

13.Maggioni M, Sbordone L. Laser applications in periodontology and implantology: clinical results and perspectives. Minerva Stomatol. 2010;59(6):273-286. Piccin O. Laser in dentistry: principles and clinical applications. Piccin Editore, Padova; 2015. 14.Maggioni D. Laser e Odontoiatria. Principi, applicazioni cliniche e sicurezza. Edra, Milano, 2021. 15.Giovanni Olivi, Laser in Odontoiatria. Fondamenti teorici e applicazioni cliniche, Piccin Nuova Libraria, Padova, 2020.

16.Parker S. Evidence-based principles of laser dentistry. J Dent Clin North Am. 2004;48(4):883–902.

17.Convissar RA. Principles and Practice of Laser Dentistry, 2nd ed. Elsevier, 2016.

18.Coluzzi DJ. An overview of laser wavelengths used in dentistry. Dent Today. 2008;27(12):54–59.

19.Maggioni D. et al. “Trattamento del gummy smile con laser a diodo: revisione e protocollo operativo.” G Ital Laser Dent, 2018.

20.Sculean A, et al. “The use of lasers in periodontal therapy: advantages and limitations.” Periodontol 2000, 2020.

21.Scarpelli F. Estetica e laser in odontoiatria: protocolli clinici. Edizioni Mediche, Milano; 2018.

22.Vescovi P, Merigo E. Laser in Odontoiatria, Piccin, 2020.

23.Scarpelli F. “Tecniche di sbiancamento dentale laser assistito”, Edizioni Medico Scientifiche, 2020.

Cogli l’occasione di esporre i tuoi prodotti partecipando in collettiva con Infodent International, alla più importante fiera dentale del Sud-Est Asiatico dal 17 al 19 aprile 2026. Visibilità internazionale, contatti qualificati e un supporto professionale per entrare nei mercati asiatici in modo efficace. Unisciti alla nostra collettiva e porta il tuo business al centro dell’innovazione dentale! www.infodentinternational.com | tradeshow@infodent.com | +39 0761 352198

Riconosciuta come la principale fiera del settore dentale nel Sud-est asiatico, IDEM si prepara a tornare per la sua 14ª edizione dal 17 al 19 aprile 2026 nella suggestiva location del Sands Expo & Convention Centre, Marina Bay Sands, Singapore. Forte di una lunga esperienza e di una crescita costante, IDEM rappresenta un punto d'incontro imprescindibile per gli espositori interessati ad incontrare gli oltre 9,000 visitatori professionali attesi. Con un’esposizione senza pari, opportunità di networking uniche e una piattaforma ideale per mostrare i tuoi prodotti e servizi, IDEM 2026 offre l’ambiente perfetto per far crescere il tuo business nella regione del Sud-est asiatico.

Volontariato in Madagascar: l’esperienza di Lucia Certini e Laura Cerato

al 19 giugno al 2 luglio, Lucia Certini (odontoiatra) e Laura Cerato (igienista dentale) hanno preso parte a una missione di volontariato presso il Centro Medico-Chirurgico Saint Paul ad Ampefy Andasibe, nel cuore del Madagascar.

“Vorremmo esprimere la nostra più sincera gratitudine a Change ETS per l’opportunità che ci ha dato di partecipare a questa missione. È stata un’esperienza che ha arricchito non solo il nostro percorso professionale, ma anche la nostra vita personale, creando un forte legame di amicizia e di stima reciproca.”

Fin dai primi giorni, si sono confrontate con la realtà malgascia, fatta di grandi difficoltà ma anche di profonda dignità e resilienza. La malnutrizione, le scarse risorse alimentari e la mancanza di cure odontoiatriche incidono pesantemente sulla salute orale, soprattutto tra i più piccoli.

“Abbiamo incontrato persone disposte a percorrere chilometri per ricevere aiuto, sempre con umiltà e pazienza. Persone che attendevano il proprio turno senza lamentarsi, e che ci hanno poi regalato un sorriso che ha ripagato ogni sforzo. Siamo certe che il lavoro di squadra con i volontari nutrizionisti permetterà di superare molte sfide, creando un forte senso di appartenenza e motivazione condivisa per un bene comune.”

Un ringraziamento speciale va a Casa MAP per l’accoglienza e per averci fatto sentire a casa; ai dottori Teresa, Paolo, Andrea, al dott. Pincini e a tutti i volontari che hanno condiviso con noi questa incredibile avventura.

“Madre Teresa di Calcutta diceva: Quello che noi facciamo è solo una goccia nell’oceano. Ma se non lo facessimo, l’oceano avrebbe una goccia in meno. In Madagascar ci siamo sentite proprio così: come due piccole gocce che hanno contribuito, nel nostro piccolo, a migliorare la salute orale della comunità malgascia.”

XVI Congresso AIOLA 2025 Tradizione e Innovazione nella Laserterapia Odontoiatrica

l XVI Congresso Nazionale AIOLA, che verrà ospitato nella prestigiosa sede dell’Università degli Studi di Bari, assume un valore simbolico molto importante per l’associazione: verranno celebrati infatti i 25 anni dalla fondazione di AIOLA, un traguardo che testimonia l’impegno costante nella diffusione della cultura laser in ambito odontoiatrico. Un lungo percorso che, grazie alle collaborazioni instaurate con numerose Università, Associazioni scientifiche e Aziende, ha consentito di dimostrare che la laserterapia è un’opportunità clinica, economica ed un ausilio da utilizzare nella pratica quotidiana. L’immagine scelta per rappresentare il congresso si inserisce perfettamente nel contesto, raffigurando due figure emblematiche: Ippocrate, considerato il padre della medicina, e Theodore Maiman, inventore del primo dispositivo laser.

Il Congresso sarà un’occasione di aggiornamento e confronto per Medici Odontoiatri, Chirurghi Orali, Maxillo-Facciali, Igienisti Dentali, Medici Estetici e tutti i professionisti interessati all’evoluzione dell’odontoiatria laser-assistita. Si rivolge sia agli utilizzatori esperti che ai neofiti ed è pensato per offrire contenuti concreti, innovativi e applicabili nella pratica quotidiana.

Gli autorevoli relatori ripercorreranno l’evoluzione della laserterapia fino a oggi, illustrando lo stato dell’arte e presentando gli studi che daranno avvio alla ricerca dei prossimi cinque anni. Sono previste delle Lectio Magistralis sugli argomenti più importanti e discussi della laserterapia in Odontoiatria Generale dell’adulto e del bambino, Chirurgia Orale, Igiene Dentale ed Estetica del Viso, ed anche relazioni di docenti italiani e stranieri che condivideranno la loro esperienza sulle diverse applicazioni laser alla luce delle più recenti novità scientifiche e tecnologiche.

Verrà inoltre lasciato uno spazio alla presentazione di casi clinici e ricerche scientifiche della sessione poster selezionate dalla commissione scientifica.

Il venerdì mattina sono previsti diversi workshop dedicati alle diverse applicazioni laser di competenza dell’Odontoiatra con un risvolto essenzialmente pratico con dimostrazioni in ambito odontoiatrico, di medicina estetica e di filosofia del volto.

Vi aspettiamo a Bari per condividere insieme un’esperienza formativa, scientifica di grande valore e festeggiare i nostri 25 anni.

Dr. Maurizio Maggioni Presidente AIOLA

Vivi l’Eccellenza Odontoiatrica al Greater New York Dental Meeting!

Il Greater New York Dental Meeting (GNYDM) continua con orgoglio la sua tradizione come il principale evento odontoiatrico negli Stati Uniti, costruendo su oltre un secolo di traguardi rivoluzionari. Anche quest’anno, il GNYDM si conferma la destinazione imprescindibile per i professionisti del settore dentale in cerca di opportunità formative senza pari, tecnologie all’avanguardia e occasioni di networking di grande valore. Unisciti a migliaia di colleghi da tutto il mondo nel cuore pulsante di New York City per un evento ricco di energia e programmi innovativi. Il GNYDM offre una piattaforma dinamica e completa, pensata per elevare la tua pratica professionale e metterti in contatto con l’avanguardia del settore odontoiatrico. Una Celebrazione Vibrante dell’Odontoiatria

Il GNYDM non è solo un incontro, ma una vera e propria celebrazione dell’arte e della scienza dentale. Immergiti in un’atmosfera carica di entusiasmo, dove potrai confrontarti con i colleghi, scoprire le ultime novità e riscoprire la passione per la tua professione. Oltre all’ampia offerta formativa e all’affollata area espositiva, il GNYDM propone anche momenti di intrattenimento coinvolgenti, per un’esperienza davvero memorabile. Formazione all’Avanguardia e Networking Senza Confronti

Preparati a essere ispirato e informato grazie a un programma educativo di livello mondiale. Il GNYDM propone costantemente un’offerta formativa ampia e diversificata con oltre 245 seminari, workshop pratici e sessioni scientifiche con poster, accuratamente selezionati per trattare gli argomenti più attuali e innovativi nel campo dell’odontoiatria. Dalle applicazioni cliniche pratiche alle ultime scoperte della ricerca, ogni sessione è pensata per arricchire le tue competenze e avere un impatto diretto sulla tua attività quotidiana. Accedi a un’area espositiva vastissima, un vero e proprio polo dinamico dove scoprire le tecnologie, i prodotti e i servizi più innovativi offerti da oltre 1.000 aziende leader del settore. Questa opportunità unica ti consente di esplorare soluzioni all’avanguardia, confrontarti direttamente con esperti del settore e prendere decisioni informate per migliorare l’efficienza della tua pratica e l’esperienza dei tuoi pazienti.

Il GNYDM riconosce anche l’importanza fondamentale del networking nella

comunità odontoiatrica. Connettiti con colleghi, mentori e leader del settore provenienti da tutto il mondo, creando collaborazioni e relazioni che possono plasmare il tuo percorso professionale. Lo scambio di idee e di esperienze al GNYDM è inestimabile e offre nuove prospettive e opportunità di crescita.

Un Centro Dedicato alle Specializzazioni Odontoiatriche Consapevole delle esigenze diversificate dei professionisti del settore, il GNYDM ospita una serie di incontri dedicati a varie specialità. Questi eventi tematici attraggono i migliori clinici e ricercatori nei rispettivi ambiti, offrendo formazione e networking mirati. Quest’anno il GNYDM presenta:

• World Implant EXPO : Scopri le ultime innovazioni e tecniche nell’implantologia.

• Global Orthodontic Conference : Approfondisci approcci innovativi nei trattamenti ortodontici.

• Pediatric Dentistry Summit : Concentrati sugli aspetti unici dell’assistenza ai pazienti pediatrici.

• Sleep Apnea Symposium : Approfondisci il crescente campo della medicina del sonno odontoiatrica.

• 3D Printing & Digital Dentistry Conference : Sfrutta la potenza trasformativa delle tecnologie digitali.

• Public Health Symposium : Affronta le problematiche cruciali della salute dentale pubblica.

• Special Care Dentistry Forum : Formazione specifica per la cura di pazienti con esigenze speciali.

• Women Dentists Leadership Conference : Sostieni e collega le donne nel mondo odontoiatrico.

• GNYDM Lab Symposium : Esplora le ultime innovazioni e tecniche nel settore dei laboratori odontotecnici.

Abbracciare il Futuro dell’Odontoiatria

Guardando al futuro, il Greater New York Dental Meeting resta fermamente impegnato a offrire opportunità formative innovative e di alta qualità ai professionisti del settore. Collaboriamo attivamente con università odontoiatriche, organizzazioni e gruppi per sviluppare nuovi programmi capaci di affrontare l’evoluzione del panorama odontoiatrico.

Continuando a superare i confini della formazione, a promuovere un networking eccezionale e ad accogliere gli ultimi progressi del settore, il GNYDM è destinato a rimanere l’evento di riferimento per l’intera comunità odontoiatrica ancora per molti anni.

Unisciti a noi al Greater New York Dental Meeting di quest’anno e vivi l’eccellenza odontoiatrica!

Scopri le innovazioni più recenti, amplia le tue conoscenze e connettiti con la comunità odontoiatrica globale. Il tuo percorso verso la crescita professionale e il successo inizia qui!

info@gnydm.com | www.gnydm.com

Dal “meccanico dentista” al “dentista meccanico” Il linguaggio sbagliato del mondo del dentale

Nel mondo professionistico della comunicazione, si dice che il linguaggio genera la realtà. Nel dentale questa operazione è più facile ed evidente che mai. Per capire bene come stanno le cose basti pensare ai primi tre concetti che la parola evoca subito dopo che è stata emessa. Se dico “Barilla” subito arrivano: pasta, Italia, pranzo. Se dico “Mc Donald”: hamburger, patatine, famiglia ecc. Ora proviamo dalle nostre parti a vedere che succede.

Se dico “DENTISTA”: dolore, trapano, pinze, ago, tanti soldi! Per quelli più attempati, come me, arriverebbe prima quel tipico odore di chiodi di garofano che appestava le sale d’attesa con l’eugenolo. Meglio “ODONTOIATRA”, è la stessa cosa, ma il suono è più recente e lontano dallo scenario popolare, dove le associazioni precedentemente menzionate, almeno tardano ad apparire.

Situazione drammatica invece per “ODONTOTECNICO”.

La prima reazione popolare è “meccanico dentista”, due associazioni peggiori sarebbe difficile pensarle, dove agli incubi di cui sopra si aggiungono: chiavi per svitare, martelli, pappagalli e cacciaviti. La seconda reazione è “abusivo”, forse addirittura con due B, e qui ci ha messo lo zampino qualche imbecille, i media, la politica e mi fermo qui altrimenti mi vengono fuori 30 anni di battaglie dove ho rischiato troppo per ciò che il sistema davvero meritava. La terza è “risparmio”, ed è direttamente collegata alla seconda, ma tant’è! La quarta è “capro espiatorio”, ovviamente se qualcosa non va con le protesi la colpa di chi sarà? Da parte mia il termine “odontotecnico” andrebbe cambiato studiando attentamente un nuovo nome, che evochi istintivamente qualcosa di diverso.

Aborro, imitando Mughini, anche il modo di dire davanti al paziente o anche nelle conferenze di molti odontoiatri che suona così: “IL MIO TECNICO!”

Appena arriva questo suono all’orecchio del cittadino medio, davanti ai suoi occhi appare un tipo in tuta blu, con chiave inglese, che cerca la caldaia del riscaldamento. Tutto sbagliato! “TECNICO” appunto, ma soprattutto “IL MIO”:

chi ha partita IVA appartiene a sé stesso e non ad altri, in particolar modo quando non si ha nessun contratto di collaborazione e per 5 euro lo si cambia a prescindere. Questo modo di parlare evoca subito sudditanza. Quando poi non si dice neanche il nome e cognome al seguito, la maleducazione e il non rispetto imperano! Il primo segno di una persona educata ed elegante, si vede quando rispetta il lavoro più umile, come ad esempio un cameriere alla tavola di un ristorante, nel caso dell’odontotecnico con la O maiuscola, si tratta di un’arte superiore, quindi ancor peggio.

Aborro al quadrato anche il termine “FABBRICANTE”, a mio avviso si addice alle torniture, quali sono i centri di fresaggio, ma non certo a chi lavora in punta di pennello. Auspico quindi che i giovani facciano una battaglia anche sui termini e si distingua bene, con le parole giuste, chi “produce” da chi “CREA”. Il linguaggio genera realtà e così facendo, forse anche certi cambiamenti legislativi potrebbero essere facilitati.

Il “dentista meccanico” invece mi “sdrucciola” le orecchie quando cerca di spiegare la forma dei denti, che andrà a proporre al paziente, sia dal punto di vista estetico, che della forma funzionale. Facciamolo più quadrato, più triangolare, più a uovo, più lungo, più largo, più cicciotto, più giallo, con più pancia ecc. E poi viti, chiavi dinamometriche, abutment, all on four, latero-lateralità, lateroprotrusioni, sembrano il festival del complicare per sottomettere, del dire per non far capire niente, del millantare valore che spesso non c’è; il comico Cevoli nell’imitazione del sindaco romagnolo sarebbe più chiaro. Da sempre mi interesso di trasformare i denti in simboli e semplici numeri gestiti dalle virgole, per parlare alla gente con un linguaggio che tutti abbiamo imparato nella terza elementare. Per questo AFG (anatomic functional geomentry) non è la solita tecnica di modellazione che ha fatto il suo tempo, ma un sistema del futuro che consente anche al paziente di capire cosa è, e cosa fa davvero il dente umano: tramite, punti, linee e triangoli. Un gioco di simboli che è simile alle formine dei giochi dei bambini, altro che arzigogoli fantasiosi sulle creste secondarie che spopolano sui social con i relativi mi piace, dove poi si scambia il lato destro col sinistro! L’astrazione numerica, seppur a parole sembra complicata, è di fatto ciò che dai greci in poi abbiamo usato per vedere le cose in modo organizzato con l’occhio geometrico. È questo nella scuola di base che ci insegnano. Il cuore della forma, anche in digitale è la triangolazione e con i triangoli AFG spiega tutto il dente e la sua funzione, soprattutto quella a denti staccati, di cui ci si dimentica sistematicamente. Questa vera funzione è legata ai lati dei triangoli e decide come mastichiamo e dove va il cibo. Con uno scanner e un monitor, il paziente può vedere e capire facilmente che differenza c’è tra un “tappo - otturazione” e la “rinascita globale” del dente, tramite il ripristino delle figure geometriche interne al dente stesso.

La comunicazione sbagliata nel dentale riguarda anche il termine “PROTESI” che evoca della “ferraglia artificiale in bocca”. Il paziente non va dall’odontoiatra per le protesi, ma per avere i DENTI indietro. Quindi saper parlare di denti e evitare il termine protesi dovrebbe essere un cult. Guardiamo a cosa fa un sommelier per farti gustare il vino prima che lo assaggi, oppure un esperto di profumi come decanta le fragranze: non si mette certo a spiegare gli aspetti tecnico-meccanici che ci sono dietro, ma esalta l’esperienza finale, il beneficio o l’emozione. Ecco perché AFG è così importante, se facesse vino, farebbe Barolo o Amarone, e te lo farebbe gustare prima che lo bevi, non solo dopo.

Un incisivo a tendenza rettangolare, per AFG che conosce i concetti di percezione visiva, della Gestalt di Arnheim di Marcolli, ha delle corrispondenze emozionali che derivano dalla geometria stessa e lo si descrive con parole che evocano quella forma. Parole legate al come la persona si sentirà e apparirà, “indossando” quel dente, come un gioco di linee che si interfacciano con quelle del viso e della personalità, perché esiste anche una psicologia della forma. Senza queste basi comuni della composizione, nessun architetto, nessuno stilista ecc. potrebbe arredare uno spazio, quale anche un viso e una bocca sono. Manca totalmente, nel dentale, una formazione di base su questi aspetti basilari e si lascia tutto più che al gusto all’accettazione supina di molti pazienti: “più di così non si può” si sentono rispondere. Spesso anche i VIP sono vittime di queste mancanze di conoscenza, come ho già segnalato in un articolo precedente su questa rivista.

Le parole giuste generano realtà. Far bene, da solo, non basta più!

Approccio Multidisciplinare a un caso di risoluzione complessa mediante l'impiego di diverse Discipline Odontoiatriche

Introduzione

In odontoiatria, come in altre discipline mediche, ci troviamo talvolta ad affrontare casi di difficile gestione che richiedono l’impiego di diverse tecniche e discipline per essere risolti in modo favorevole [1–4]. Per questo motivo, la formazione di un team multidisciplinare che consenta una diagnosi adeguata e un piano di trattamento adattato alle esigenze individuali di ciascun caso è essenziale [5].

Inoltre, nell’ambito della chirurgia, la conoscenza di diversi protocolli per affrontare i vari tipi di atrofia (verticale, orizzontale, combinata, ecc.) permette di trattare ogni zona nel modo meno invasivo possibile [6–9]. Il riassorbimento dell’osso alveolare mascellare o mandibolare dopo la perdita degli elementi dentari può variare da un individuo

all’altro, anche quando le cause della perdita dentale sono simili, e può differire anche all’interno dello stesso paziente nella stessa area ossea, mostrando pattern di atrofia verticale, orizzontale o mista nello stesso soggetto, che richiedono trattamenti differenti per la riabilitazione [11–13]. Le opzioni meno invasive stanno acquisendo un ruolo sempre più centrale, essendo più prevedibili, economicamente e temporalmente meno onerose per il paziente e in grado di offrire una sensazione

di immediatezza, oggi sempre più richiesta [14,15].

Nel caso dell’atrofia verticale, si può optare per impianti corti o extra-corti, mentre in presenza di atrofia orizzontale, gli impianti a piattaforma ridotta o a diametro stretto rappresentano una valida alternativa.

Nel seguente caso clinico, presentiamo un paziente per il quale sono state necessarie diverse tecniche, come ortodonzia, chirurgia, differenti tipi di impianti e soluzioni chirurgiche, oltre a diversi approcci protesici, per ottenere una risoluzione soddisfacente con il minimo grado di invasività. Mostriamo la sequenza passo dopo passo, basata su una diagnosi precisa e su un protocollo strutturato, fino alla risoluzione finale, seguita da un follow-up di cinque anni per confermare la stabilità dei trattamenti eseguiti.

Caso clinico

Presentiamo il caso di un paziente maschio di 54 anni che si presenta in studio per migliorare l’estetica del settore anteriore, in quanto il dente in posizione 11 presenta grave perdita ossea e mobilità, oltre a voler migliorare le ricostruzioni nei settori posteriori che non soddisfano le aspettative estetiche (Fig. 1–3). Il dente 11 necessita estrazione; inoltre, nei modelli diagnostici e nelle immagini iniziali si osserva una malocclusione con inversio -

ne della curva di Wilson, generando interferenze dannose nei movimenti laterali. Per questo motivo, si è iniziata una fase di ortodonzia per correggere l’occlusione e stabilizzare il piano occlusale. Una volta terminata l’ortodonzia, si è proceduto con l’estrazione del dente 11 e inserimento di un impianto immediato con diametro 3,3 mm, allo scopo di creare un’emergenza ridotta e preservare il tessuto osseo circostante (Fig. 4). L’impianto è stato provvisto di carico immediato con protesi provvisoria in resina, modellando i tessuti gengivali per ottenere un profilo di emergenza simile al dente controlaterale (Fig. 5–6).

Terminata la riabilitazione del settore estetico e guarite le estrazioni del secondo quadrante, si è proseguito con l’inserimento di impianti posteriori. Dopo aver stabilizzato la curva di Wilson, nel secondo quadrante sono stati inseriti impianti corti direttamente, grazie al volume osseo residuo sufficiente (Fig. 7–8). Nel quarto quadrante sono stati posizionati un impianto corto e ristretto e un impianto posteriore corto (Fig. 9–10). Tutti gli impianti hanno avuto carico immediato tramite barre articolate (Fig. 11–12).

Dopo quattro mesi dall’inserimento, si è proceduto alla realizzazione delle protesi definitive nei settori secondario e 11. Il profilo di emergenza stabilizzato a lungo termine sul 11 è stato trasferito alla corona definitiva, realizzata su transepiteliale unitario, mantenendo il pilastro iniziale per preservare la tenuta alla connessione (Fig. 13–14). Le corone definitive in metallo-ceramica, progettate CAD CAM, hanno permesso di posizionare il colletto protesico in zona favorevole. Anche le corone posteriori sono state realizzate in metallo-ceramica su transepiteliale multiplo (Fig. 23). Il paziente è seguito da tre anni, con controlli radiografici e CBCT al termine del terzo anno, confermando stabilità dei tessuti senza perdita ossea o complicazioni (Fig. 15–16). Purtroppo, dopo quattro anni, si è verificata una perdita delle riabilitazioni su dente nel primo e terzo quadrante, provocando estrazioni e ritrattamenti con impianti extra-corti in cresta e impianti corti e stretti nella mandibola, anch’essi a carico immediato. Sei mesi dopo, è stata realizzata la protesi definitiva a barra su transepiteliale multiplo (Fig. 17).

Discussione

Il trattamento di casi complessi in implantologia— come in altre specialità mediche—richiede approcci multidisciplinari e l’uso di tecniche chirurgiche e protesiche multiple per ottenere risultati di successo [8,14]. Un team dedicato è consigliato, soprattutto in presenza di problemi in aree diverse, come nel caso descritto, con atrofia verticale e oriz -

zontale nei settori posteriori, risolta con impianti corti e stretti e protocolli protesici specifici. Questa strategia ha permesso la risoluzione e il mantenimento dei risultati per quattro anni, con una perdi -

ta dentale solo per cause parodontali. Le tecniche utilizzate separatamente hanno conseguenze note: gli impianti corti sono ormai validi sostituti nelle riabilitazioni con grave atrofia verticale, con tassi di sopravvivenza simili o superiori agli impianti convenzionali (~99,3 %) [17–19]; gli impianti stretti mostrano tassi di sopravvivenza tra il 90 e il 94 %, raggiungendo anche il 100 % in alcuni studi escludendo tecniche accessorie [20,21]. La combinazione di entrambe le caratteristiche (impianti corti e stretti) ha prodotto ottimi risultati a lungo termine nel nostro studio, senza differenze statistiche in perdita ossea o sopravvivenza rispetto a impianti di diametro normale [22].

Integrare queste tecniche in un piano individualizzato consente di affrontare con successo casi complessi, come il presente.

Conclusioni

Sempre più frequentemente incontriamo situazioni che richiedono riabilitazioni implantari complesse risolte con approcci multidisciplinari e multichirurgici, necessari per garantire risposte adeguate e prevedibili ai pazienti.

Figure

Figure 1 e 2

Immagini iniziali del paziente che mostrano lo stato del dente 11 e di alcune restaurazioni posteriori che, oltre a risultare esteticamente discordanti rispetto ai denti naturali, presentano disadattamenti a livello cervicale.

Figura 3

Radiografia iniziale del paziente in cui si osserva il problema occlusale descritto precedentemente, che ha motivato la decisione di iniziare un trattamento ortodontico per compensare il piano occlusale.

Figura 4

Perdita ossea completa della parete vestibolare e palatale del dente in posizione 11.

Figure 5 e 6

Provvisorio a carico immediato utilizzato per modellare i tessuti molli fino alla realizzazione della protesi definitiva. Si nota il cambiamento del pattern occlusale al termine del trattamento ortodontico.

Figure 7 e 8

Immagini della pianificazione dell’inserimento degli impianti nel secondo quadrante, eseguito direttamente nel volume osseo residuo, utilizzando impianti corti come illustrato.

Figure 9 e 10

Pianificazione degli impianti nel quarto quadrante. Si osserva l’inserimento di un impianto corto e stretto nel settore anteriore (zona del secondo premolare) e di un impianto corto nel settore molare posteriore.

Figure 11 e 12

Immagini radiologiche del carico immediato degli impianti superiori e inferiori.

Figure 13 e 14

Immagini comparative tra la fase iniziale, con il dente 11 al di fuori della corticale vestibolare, e la fase finale con la protesi definitiva, che mostra la stabilità ottenuta con il trattamento.

Figure 15–16

Stabilità a lungo termine degli impianti extra-corti inseriti, con mantenimento dell’osso crestale e della riabilitazione senza complicanze.

Figura 17

Caso in follow-up a sei anni dal primo intervento implantare. In questa radiografia si osservano anche gli impianti più recenti e la stabilità del trattamento nel lungo periodo.

Bibliografia

1. Lyons KM, Darby I. Interdisciplinary periodontics: the multidisciplinary approach to the planning and treatment of complex cases. Periodontol 2000. 2017 Jun;74(1):7-10.

2. Morris HF, Ochi S. The influence of implant design, application, and site on clinical performance and crestal bone: a multicenter, multidisciplinary clinical study. Dental Implant Clinical Research Group (Planning Committee). Implant Dent. 1992 Spring;1(1):49-55.

3. Landi L, Piccinelli S, Raia R, Marinotti F, Manicone PF. Perioprosthetic and Implant-Supported Rehabilitation of Complex Cases: Clinical Management and Timing Strategy. Case Rep Dent. 2016;2016:2634093.

4. Wang S, Gu X. [Progress on clinical application of orthodontic-implant combined therapy]. Zhejiang Da Xue Xue Bao Yi Xue Ban. 2020 May 25;49(1):124130.

5. Lanza A, Di Francesco F, De Marco G, Scognamiglio F, Aruta V, Itro A. Multidisciplinary Approach in the Management of a Complex Case: Implant-Prosthetic Rehabilitation of a Periodontal Smoking Patient with Partial Edentulism, Malocclusion, and Aesthetic Diseases. Case Rep Dent. 2017;2017:6348570.

6. Buser D, Sennerby L, De Bruyn H. Modern implant dentistry based on osseointegration: 50 years of progress, current trends and open questions. Periodontol 2000. 2017 Feb;73(1):7-21.

7. Seyssens L, De Lat L, Cosyn J. Immediate implant placement with or without connective tissue graft: A systematic review and meta-analysis. J Clin Periodontol. 2021 Feb;48(2):284-301.

8. Kayabasi O. Design methodology for dental im-

plant using approximate solution techniques. J Stomatol Oral Maxillofac Surg. 2020 Dec;121(6):684-695.

9. Giannobile WV, Jung RE, Schwarz F; Groups of the 2nd Osteology Foundation Consensus Meeting. Evidence-based knowledge on the aesthetics and maintenance of peri-implant soft tissues: Osteology Foundation Consensus Report Part 1-Effects of soft tissue augmentation procedures on the maintenance of peri-implant soft tissue health. Clin Oral Implants Res. 2018 Mar;29 Suppl 15:7-10.

10. Manson JD. Bone morphology and bone loss in periodontal disease. J Clin Periodontol. 1976 Feb;3(1):14-22.

PROGRAMMA

11. Felton DA. Edentulism and comorbid factors. J Prosthodont. 2009 Feb;18(2):88-96.

12. Morand M, Irinakis T. The challenge of implant therapy in the posterior maxilla: providing a rationale for the use of short implants. J Oral Implantol. 2007;33(5):257-66.

13. Elgali I, Omar O, Dahlin C, Thomsen P. Guided bone regeneration: materials and biological mechanisms revisited. Eur J Oral Sci. 2017 Oct;125(5):315337.

14. Pommer B, Mailath-Pokorny G, Haas R, Busenlechner D, Fürhauser R, Watzek G. Patients' preferences towards minimally invasive treatment alternatives for implant rehabilitation of edentulous jaws. Eur J Oral Implantol. 2014 Summer;7 Suppl 2:S91-109.

15. Anitua E, Errazquin JM, de Pedro J, Barrio P, Begoña L, Orive G. Clinical evaluation of Tiny® 2.5- and 3.0-mm narrow-diameter implants as definitive implants in different clinical situations: a retrospective cohort study. Eur J Oral Implantol. 2010

Winter;3(4):315-22.

16. Ng DY, Wong AY, Liston PN. Multidisciplinary approach to implants: a review. N Z Dent J. 2012 Dec;108(4):123-8.

17. Gastaldi G, Felice P, Pistilli R, Barausse C, Trullenque-Eriksson A, Esposito M. Short implants as an alternative to crestal sinus lift: a 3-year multicentre randomised controlled trial. Eur J Oral Implantol. 2017;10(4):391-400.

18. Anitua E, Orive G. Short implants in maxillae and mandibles: a retrospective study with 1 to 8 years of follow-up. J Periodontol 2010;81:819-826.

19. Afrashtehfar KI, Katsoulis J, Koka S, Igarashi K. Single versus splinted short implants at sinus augmented sites: A systematic review and meta-analysis. J Stomatol Oral Maxillofac Surg. 2021 Jun;122(3):303-310.

20. Anitua E, Saracho J, Begoña L, Alkhraisat MH. Long-term follow-up of 2.5 mm narrow-diameter implants supporting a fixed prostheses. Clin Implant Dent Relat Res 2016; 18: 769-77.

21. Anitua E, Errazquin JM, de Pedro J, Barrio P, Begoña L, Orive G. Clinical evaluation of Tiny® 2.5- and 3.0-mm narrow-diameter implants as definitive implants in different clinical situations: a retrospective cohort study. Eur J Oral Implantol 2010; 3: 315-22.

22. Antiua E, Escuer V, Alkhraisat MH. Short Narrow Dental Implants versus Long Narrow Dental Implants in Fixed Prostheses: A Prospective Clinical Study. Dent J (Basel). 2022 Mar 4;10(3):39.

Turn static files into dynamic content formats.

Create a flipbook
Issuu converts static files into: digital portfolios, online yearbooks, online catalogs, digital photo albums and more. Sign up and create your flipbook.