Salute e luminosità del sorriso: Quali tecnologie?

Salute e luminosità del sorriso: Quali tecnologie?
S.I.O.H. L’anziano fragile in odontoiatria
Disagio: secondo il Vocabolario Treccani, è “un senso di pena e di molestia provato per l’incapacità di adattarsi a un ambiente, a una situazione, anche per motivi morali, o più genericamente un senso d’imbarazzo”.
Ed è proprio questo il sentimento che sembra aver provato una ragazza di 17 anni quando si è procurata volontariamente una profonda lacerazione, utilizzando la parte tagliente dell’anello di apertura di una lattina di Coca-Cola. Non aveva bevuto, non aveva assunto droghe né fumato nulla. Era lucida, presente a sé stessa. Non voleva che i genitori lo sapessero, né desiderava essere portata in pronto soccorso, era veramente imbarazzata per il disturbo che secondo lei stava arrecando ai soccorritori del 118. Altri tagli erano già presenti sul suo corpo.
A.I.O.L.A.
32° Congresso Nazionale
5° Congresso AIO Academy
3° Competizione AIO Academy Studenti AISO
L’ECCELLENZA in ODONTOIATRIA
Il 18° International Meeting promosso dall’Accademia “Il Chirone” si svolgerà il 19 e 20 settembre 2025 e sarà dedicato al tema “Salute orale e invecchiamento della popolazione: sfide e soluzioni”. Si tratta di un appuntamento ormai riconosciuto nel panorama scientifico, che anche quest’anno riunirà esperti, clinici, ricercatori e operatori sanitari per un confronto multidisciplinare su una delle questioni più attuali della sanità pubblica: preservare la salute orale nelle fasce di popolazione più anziane.
Il progressivo invecchiamento della società richiede un’attenta riflessione sull’accesso ai servizi di cura, sulla prevenzione delle patologie orali croniche, sulle conseguenze sistemiche e sull’importanza dell’educazione sanitaria. Il congresso proporrà sessioni dedicate a modelli di intervento innovativi, nuove tecnologie e strategie finalizzate a migliorare la qualità della vita delle persone anziane.
L’evento si annuncia denso di contenuti scientifici e indicazioni operative, offrendo un’occasione di aggiornamento e condivisione professionale di alto livello.
ROMA
24 25 OTTOBRE 2025
Consulta il programma completo a pag. 15
Segni precedenti, testimonianza muta di un disagio che andava avanti da tempo, espresso in quel modo estremo e silenzioso.
Disagio, appunto. Una parola che oggi sembra essere diventata quasi comune nel linguaggio giovanile, ma che raramente viene davvero compresa fino in fondo. Non è solo un termine astratto, ma un dolore reale che si insinua nelle giornate, mina l’autostima e altera il modo di percepire sé stessi e gli altri.
Usando un’espressione attuale: “Tanta roba”. E lo è, eccome. Ma spesso, di fronte a episodi come questo, la reazione è superficiale: si incolpano i social, i contenuti incontrollati, i modelli negativi, l’effetto imitazione.
Si dà la colpa alla moda, alle tendenze, al bisogno di appartenenza. Ma è troppo comodo. Troppo semplice. Così facendo, ci laviamo le mani — proprio come fece Ponzio Pilato, circa duemila anni fa.
Se noi adulti, noi genitori, non torniamo a seguire davvero i nostri figli, a guardarli negli occhi, a dedicare loro tempo autentico e non solo presenza distratta, non troveremo mai soluzioni concrete al loro malessere.
Sì, è vero: la società che abbiamo costruito è complessa, la vita è frenetica, e l’adolescenza è una fase difficile per definizione. Ma questo non può diventare una scusa. Anzi, proprio per questo il nostro ruolo è ancora più fondamentale. I figli sono l’unica “cosa” che abbiamo in casa senza un libretto d’istruzioni.
Quando sbagliamo, spesso non ce ne accorgiamo subito. E quando ce ne rendiamo conto, rimediare diventa difficile. Allora, prima di giudicare, prima di emettere sentenze, ricominciamo ad ascoltarli.
Parliamo con loro, confrontiamoci, facciamo sentire che ci siamo, davvero, con pazienza e costanza.
Perché se non li aiutiamo a crescere, se non mettiamo a frutto le nostre esperienze — anche le nostre sofferenze, le cadute e le ripartenze — allora tutto ciò che abbiamo vissuto non sarà servito a niente, e rischieremo di consegnare loro solo silenzi e incomprensioni.
HELBO Terapia fotodinamica antimicrobica (aPDT ), favorisce la conser vazione di denti ed impianti. HELBO è l unico sistema di questo genere con componenti sterili.
Per maggiori informazioni sulla terapia fotodinamica HELBO potete contattare direttamente il distributore telefonando al n. 392 6060066
Infomedix Odontoiatria 5/2025 bimestrale • anno V • numero 27 ottobre-novembre 2025
Direttore Responsabile Claudia Proietti Ragonesi claudia.ragonesi@infomedix.it
Coordinatore Editoriale Alberto Faini - a.faini@infomedix.it
Redazione
Nadia Coletta - nadia@infomedix.it
Edited by ® Infodent
Infodent Srl
Sede Operativa: Via dell'Industria, 65 01100 Viterbo redazione@infomedix.it 0761.352133
Sede Legale: C.ne Gianicolense, 68 00152 Roma P. IVA / C.F. 01612570562
Amministratore: Baldassare Pipitone
Responsabile Scientifico
Gianna Maria Nardi
Luca Maria Pipitone
Roberta Grassi Chiara Faini
Grafica
Antonio Maggini - artwork@infomedix.it
Ufficio Stampa Claudia Proietti Ragonesi pressoffice@infomedix.it
Marketing e pubblicità Riccardo Bonati riccardo.bonati@infomedix.it
Organizzazione Eventi Cristina Garbuglia eventi@infomedix.it
Stampa
Graffietti Stampati Snc
Strada Umbro Casentinese Km 4.500 01027 Montefiascone (VT)
Spedizione
Poste Italiane S.p.A - Spedizione in Abbonamento Postale - AUT. CENTRO/01673/05.2021
PERIODICO ROC Contiene I.P.
Registrazione al Tribunale di Viterbo n° 679/2021 del 08/03/2021
Costo copia euro 0.77
Questo numero è stato chiuso il: 28/08/2025
DIREZIONE E REDAZIONE Via dell’Industria 65 01100 Viterbo - Italy VAT 01612570562
Per informazioni, richieste e invio materiale da pubblicare contattaci: redazione@infomedix.it
T. +39 0761 352198 www.infomedixodontoiatria.it
Azienda certificata dal 26/11/2004, per la realizzazione ed erogazione di sistemi di comunicazione di marketing multicanale secondo la norma ISO 9001:2015. Certificato n. CERT-15119-2004-AQ-ROM-SINCERT
Tutti coloro che vogliono condividere esperienze di trattamenti al cavo orale e periorale, maturate e documentate all’interno di studi dentistici privati o di cliniche odontoiatriche possono contribuire contattando la redazione chiamando il numero +39 0761 352198 o inviando una mail a: redazione@infomedix.it
La responsabilità degli articoli e dei contenuti appartiene ai rispettivi autori, che ne rispondono interamente.
Vi è mai capitato? Un paziente arriva con una protesi che duole o un provvisorio appena fresato deve essere ancora leggermente adattato. Si prende il manipolo e il polverato si diffonde ovunque: sugli abiti, sul riunito, perfino sul paziente. L'igiene ne risente e l'assistente cerca di rimediare con l'aspirasaliva. Una situazione tutt’altro che ideale.
In molti studi, i piccoli ritocchi extra orali alla poltrona sono all’ordine del giorno. Mandare tutto al laboratorio è poco pratico, ma lavorare senza un vero aspiratore crea disordine e danneggia l’immagine dello studio. “Abbiamo notato che, per dei piccoli ritocchi, lo studio dentistico è spesso costretto a ricorrere a soluzioni di emergenza. Per questi interventi, l’aspirazione del riunito non è adatta”, afferma Jens Erich, Product Manager di SILENT XS.
La soluzione mobile: aspirare dove si lavora
Il compatto SILENT XS nasce per risolvere questo problema: è un aspiratore portatile, potente e silenzioso, utilizzabile ovunque senza installazione. Raccoglie la polvere direttamente all’origine, evita la dispersione del particolato e migliora la qualità dell’aria.
I vantaggi principali:
• Polvere catturata all’origine
• Utilizzo flessibile tra poltrona e laboratorio interno
• Migliore ergonomia per il dentista grazie a postura ideale
• Assistente alla poltrona libera per altri compiti
• Ambiente professionale per il paziente Prestazioni da laboratorio, anche alla poltrona
L’efficienza è tutto. “Un aspiratore compatto non deve rinunciare alla qualità”, continua Erich. Il filtro H13/HEPA del SILENT XS raggiunge una separazione del 99,9%, livello finora riservato agli aspiratori fissi da laboratorio.
Consigli pratici per l’integrazione
Per sfruttarlo al meglio:
1. Tenerlo sempre a portata di mano, meglio su un vassoio accanto alla poltrona
2. Usare l’illuminazione integrata per meno errori e maggiore ergonomia
3. Caricare regolarmente la batteria, in modo che sia sempre pronto all’uso
4. Assegnargli un posto fisso per un’utilizzazione sistematica
5. Pulire il filtro con regolarità
Un piccolo dispositivo, un grande impatto
Aspiratori dentali mobili come SILENT XS ottimizzano il flusso di lavoro, migliorano l’igiene e trasmettono un’immagine professionale. Investire in uno strumento così efficiente porta benefici concreti: meno polvere, più ordine e un ambiente più sicuro per tutti.
Trova più informazioni su: www.renfert.com/silent-xs
L’aspiratore
Senza cavi, funziona a batteria per la massima libertà di movimento –dalla poltrona al laboratorio interno.
Utilizzo con una sola mano e visione ottimale del manufatto grazie ad illuminazione a LED. Ideale per piccoli lavori di rifinitura.
Senza sacchetto e con materiale H13/HEPA per una protezione sicura. Efficienza di filtrazione fino al 99,995%.
Dott. Tony Nespoli - Odontoiatra Specialista ambulatoriale interno, Socio SIOH
per me un grande arricchimento poter far parte della Società scientifica SIOH nella quale ho modo di approfondire le applicazioni pratiche dell’Odontoiatria di comunità e dell’Odontoiatria centrata sul paziente apprese dalla Prof.ssa Laura Strohmenger, dal Prof. Guglielmo Campus e dalla Prof.ssa Maria Grazia Cagetti e da altri relatori nazionali ed internazionali alla Summer School che si svolge ogni anno ad Alghero (SS) e all’Università di Milano, a maggior ragione quando si parla di persone con disabilità.
Nella mia pratica clinica di cure di base nel SSN mi confronto regolarmente con le fasce di popolazione vulnerabili per età, patologie e condizioni sociali. Nella popolazione anziana, in particolare nell’anziano fragile, diventa sempre più importante poter garantire la salute orale adattandosi ai bisogni per così dire “speciali” che vengono manifestati dai pazienti e/o dai loro parenti e caregiver.
La prevenzione e gli interventi di comunità, a partire dalle cure e riabilitazioni di base garantiti nei LEA (Livelli Essenziali di Assistenza), anche in tale popolazione possono fare la differenza riducendo il carico di patologie a monte.
Molto utile ad esempio nell’alto rischio di carie come spesso accade nell’anziano istituzionalizzato, è l’utilizzo di dentifricio fluorato contenente un quantitativo di fluoro aumentato rispetto al normale, 5000 ppm di F, sebbene al momento non ancora disponibile in Italia, in altri paesi acquistabile in farmacia con ricetta medica.
Nell’attuale incremento demografico della popolazione anziana è certamente una sfida sia per gli operatori sanitari e sia per le famiglie e/o caregiver occuparsi anche della salute della bocca e dei denti dell’anziano in stato di fragilità, per quanto la qualità della vita in un contesto di “salute globale”, di un’unica salute (“one health”), dipenda anche da quella orale. Molto importante appare sempre più, integrare nei percorsi di contrasto dei fattori di rischio e nei percorsi di promozione della salute, anche la salute orale.
Ad esempio la promozione della salute dell’anziano fragile può iniziare a casa, spesso realizzata dai bravi operatori sanitari delle nostre ASL quando si recano a domicilio dai pazienti in ADI (Assistenza Domiciliare Integrata) sostenendo una cultura della salute centrata sulla persona assistita e rivolta anche a chi si occupa di lei, adattandola al contesto in cui vive, promozione che continua a domicilio con tutta una serie di trattamenti diagnostici, terapeutici di base e riabilitativi. In tale contesto anche la salute orale riveste il suo valore, a volte basta poco come ad esempio ricordare di igienizzare le protesi mobili e magari mostrando al bisogno come ciò vada eseguito dando consigli pratici. Infatti una protesi non ben igienizzata può essere responsabile localmente di infezioni e/o infiammazioni, ma anche a distanza, nei pazienti parti -
www.sioh.it
colarmente compromessi, può essere responsabile della polmonite ab ingestis. Inoltre l’approccio della Sanità d’iniziativa che caratterizza l’attuale riforma dell’Assistenza Territoriale prevista dal PNRR (Piano Nazionale di Ripresa e Resilienza) potrebbe avere ulteriori risvolti positivi anche per la salute orale e per la qualità della vita della popolazione geriatrica.
Nel corso dell’accudimento di un proprio famigliare o assistito, può scendere in secondo piano l’occuparsi anche di bocca e denti e dell’igiene delle protesi dentali, per il così detto “effetto alone” in quanto l’attenzione può essere maggiormente rivolta alle patologie principali.
Il ruolo di una Sanità sempre più d’iniziativa anche in campo odontoiatrico, diventa maggiormente evidente quando si considerano tutta una serie di difficoltà da fronteggiare quando un paziente con disabilità, come l’anziano in stato di fragilità, ha necessità di cure e trattamenti non più procrastinabili: le difficoltà legate al trasporto; la complessità dei piani di trattamento che diverse volte si riscontra in questa popolazione; la ridotta collaborazione, l’ansia e la scarsa capacità di sottoporsi ad interventi odontoiatrici ambulatoriali che non di rado si osservano; molte volte anche il riscontro di un elevato rischio clinico quando l’unica possibilità di trattamento è quella in camera operatoria.
La gerodontologia diventerà sempre più l’odontoiatria speciale del futuro visto il progressivo invecchiamento della nostra società. “L’odontoiatria geriatrica non esiste, non c’è nelle RSA; rappresenta un grande campo di lavoro per odontoiatri e igienisti dentali”, così ci diceva la Prof.ssa Laura Strohmenger nel maggio 2022 al Corso SIOH di Rimini durante l’Expodental.
Occorre distinguere gli anziani autonomi e in relativo buono stato di salute dove il piano di trattamento essenzialmente non cambia rispetto all’adulto normodotato, dagli anziani con disabilità e quest’ultimi in anziani che vivono a casa assistiti da famigliari e/o caregiver e quelli istituzionalizzati accolti in strutture residenziali. Anche qui il trattamento ambulatoriale va scelto e personalizzato in base alla situazione che si presenta dove a volte anche il “non trattamento” può essere la cosa giusta ed indicata da fare in quel momento e situazione.
Chiaramente vanno conosciute e utilizzate al bisogno anche le tecniche di conservativa minimale perché hanno una prognosi di alto profilo. Non occorre occuparsi solo del sintomo, giacché l’accudimento è affidato al paziente con l’aiuto dell’odontoiatra e dell’igienista dentale. Quindi occorre tener presente, prima di proporre un trattamento impegnativo da un punto di vista economico, della capacità del paziente di aver cura della propria salute orale in modo adeguato e sufficiente, ovvero avere un approccio non soltanto finalizzato alla risoluzione del sintomo, ma costruire un intervento su misura che miri al contrasto dei fattori di malattia.
In tale ottica diventa importante il concetto della “conservabilità” del trattamento sanitario proposto, come accade già in altri ambiti della medicina, ad esempio in cardiochirurgia per le protesi valvolari in cui è molto importante selezionare, per motivi di costi per il SSN, il paziente idoneo al trattamento e in grado di conservarlo nel tempo.
Sembra pertanto più che appropriato la costante tensione verso un approccio terapeutico di comunità, accessibile e sostenibile. Nelle RSA il geriatra spiega al paziente e famigliari/caregiver quello che accadrà nell’assistenza e la collaborazione richiesta, così dovrebbe diventare per noi quando ci si occupa di odontoiatria speciale e quindi anche di odontoiatria geriatrica, in quanto abbiamo imparato che nel paziente fragile ci prendiamo in carico il gruppo famigliare che gli sta intorno.
Per tale motivo è auspicabile che all’interno delle “Case di comunità” sia presente un servizio di “Odontoiatria preventiva”.
Anche le riabilitazioni odontoprotesiche contribuiscono a dei benefici non soltanto localmente in termini di masticazione ed estetica, ma possono migliorare la qualità della vita anche mediante possibili risvolti positivi sulla salute sistemica. È ormai acquisito quanto una mantenuta funzione masticatoria sia un fattore protettivo rispetto al decadimento cognitivo dell’anziano per un meccanismo legato alla stimolazione dell’ippocampo durante gli atti masticatori, dato con cui concorda anche il primo studio svoltosi in Italia sulla salute orale nell’anziano istituzionalizzato (1). Inoltre all’odontoiatra generalista che si occupa degli anziani fragili verrà richiesta oltre che la padronanza delle tecniche evidence based di conservativa del minimo intervento e di iatrosedazione, anche la capacità di adattarsi alle diverse necessità del paziente sia rendendo l’ambulatorio più adatto all’assistenza delle persone con disabilità e sia recandosi all’occorrenza al domicilio del paziente (2).
Nel continuo sviluppo di percorsi dedicati alle persone in stato di fragilità, l’odontoiatra sempre più di frequente si trova anche nel ruolo di facilitatore di percorsi multidisciplinari e multiprofessionali come ad esempio quelli che nascono e si sviluppano dal Progetto D.A.M.A. (Disabled Advanced Medical Assistance, ovvero “Assistenza medica avanzata alle persone con disabilità”), modello organizzativo in cui il percorso diagnostico-terapeutico multidisciplinare viene adattato alle esigenze delle persone con grave disabilità a partire dall’ospedale, dove molte volte in prima battuta il paziente o i caregivers decidono di accedere al Progetto per problematiche odontostomatologiche irrisolte.
(1): Cocco F, Campus G, Strohmenger L, Ardizzone VC, Cagetti MG. The burden of tooth loss in Italian elderly population living in nursing homes. BMC Geriatr. 2018 Mar 20;18(1):76. doi: 10.1186/s12877-018-0760-0. PMID: 29558907; PMCID: PMC5859729.
(2): Ina Nitschke / Klaus-Peter Wefers / Julia Jockusch, Mobile Zahnmedizin_Die aufsuchende Betreuung, 1^ Edizione 2023, Quintessence Publisching
White Beauty Professional presenta Tailor, un innovativo e brevettato sistema di sbiancamento professionale per trattamenti domiciliari. Disponibile sia al 10% che al 16% di perossido di carbammide, può essere utilizzato con mascherine e allineatori.
Il gel sbiancante viene preparato dal dentista o dall’igienista dentale in studio, miscelando due siringhe contenenti una soluzione liquida e una in polvere; successivamente viene versato nel dosatore airless Tailor e consegnato al paziente, che lo utilizza a casa per completare il trattamento.
Il dosatore airless Tailor funziona con un sistema a vuoto che preserva la qualità e la durata del prodotto; è inoltre pratico, facile da usare e da trasportare.
White Beauty Professional Tailor rappresenta un’alternativa pratica alle tradizionali siringhe per lo sbiancamento domiciliare, un sistema che consente al professionista di creare un prodotto personalizzato per ogni paziente.
www.whitebeautyprofessional.com info@miromed.it
Un evento globale di due giorni per puntare i riflettori sull'odontoiatria digitale multidisciplinare e promuovere la collaborazione internazionale
exocad, una società della Align Technology, Inc., nonché uno dei principali fornitori di software CAD/CAM per l'odontoiatria, ha annunciato oggi il suo prossimo evento globale, Insights 2026, che si terrà il 30 aprile e il 1° maggio 2026 a Palma di Maiorca, in Spagna. Con il motto ispiratore "Calling all heroes", l'evento accenderà i riflettori sull'odontoiatria digitale multidisciplinare, riunendo professionisti del settore da tutto il mondo per scoprire le ultime novità e i flussi di lavoro collaborativi dell'odontoiatria digitale.
Il programma di due giorni offrirà un'esperienza formativa di alto valore con conferenze tenute da rinomati relatori internazionali e da esperti di exocad, oltre a sessioni speciali di approfondimento pensate per le esigenze di odontotecnici e medici. I partecipanti avranno l'opportunità di visitare un vibrante Innovation Expo con soluzioni e prodotti all'avanguardia di oltre 50 aziende del settore dentale.
"Insights 2026 vuole riunire la comunità dentale mondiale in un unico incredibile evento", ha dichiarato Novica Savic, CCO e managing director di exocad. "Grazie alla presenza di molti relatori di spicco e di una vasta gamma di partner, l'evento sarà più vario e stimolante che mai. Ci aspettiamo che più di 850 eroi dell'odontoiatria digitale ci raggiungano a Palma per due indimenticabili giorni di apprendimento, networking ed eccellenza dentale".
In occasione di Insights 2026, una lineup dinamica di esperti mondiali offrirà prospettive pratiche e orientate al futuro su ogni aspetto dell'odontoiatria digitale. Caroline Kirkpatrick, scozzese, odontotecnico clinico, sfiderà il pensiero tradizionale invitando gli odontotecnici di corone e ponti a riconsiderare il potenziale dei materiali rimovibili. Il digital designer e Independent Certified Trainer di exocad, Seth Potter, dal Canada, rivelerà come il design del sorriso possa essere un potente motore di crescita aziendale. Il Dr. Zhiqiang Luo, dalla Cina/USA, odontoiatra e istruttore clinico presso la University of Michigan School of Dentistry, evidenzierà i vantaggi trasformativi del paziente digitale,
mentre il Prof. Marco Tallarico, dall'Italia, odontoiatra e professore associato di protesi dentaria all'Università di Sassari, presenterà un flusso di lavoro interdisciplinare che integra exocad ART ed exoplan. Lukas Wichnalek, dalla Germania/Messico, odontotecnico certificato, ci mostrerà un metodo standardizzato per l'acquisizione dei dati del paziente, sottolineando la precisione estetica e la collaborazione continua tra il laboratorio e la clinica attraverso gli strumenti di TruSmile™. A completare il programma, il Dr. Alexis Ioannidis, dalla Svizzera, responsabile dell'odontoiatria ricostruttiva fissa dell'Università di Zurigo, e la dentista Michaela Sehnert, dalla Germania, esploreranno
come i flussi di lavoro incentrati sulla comunicazione e la piattaforma digitale completamente integrata di exocad possano migliorare sia i risultati sui pazienti, sia la redditività dello studio.
In occasione di Insights 2026, exocad presenterà per la prima volta un paese partner. Con un paese diverso come protagonista per ogni Insights, exocad promuoverà lo scambio internazionale, celebrerà la diversità ed evidenzierà le prospettive regionali peculiari nell'ambito dell'odontoiatria digitale. Il paese partner di Insights 2026 sarà la Cina.
exocad inizierà la vendita dei biglietti il 1° settembre 2025, offrendo un numero limitato di biglietti super early bird con uno sconto di 299 euro più IVA fino al 31 ottobre 2025. Sono previste offerte speciali per i team odontoiatrici che acquisteranno i biglietti insieme e per gli studenti. I biglietti daranno accesso a tutte le attività del congresso e all'evento serale a tema "exoGlam night", che offrirà un'esperienza di networking unica.
Ulteriori informazioni e aggiornamenti sull'evento sono disponibili all'indirizzo exocad.com/insights2026
Chi siamo
exocad GmbH, una società della Align Technology, Inc., è uno dei fornitori leader a livello globale di software CAD/CAM per l’odontoiatria. exocad annulla i confini dell’odontoiatria digitale, fornendo software CAD/CAM flessibili, affidabili e facili da usare per laboratori e cliniche in tutto il mondo. Più di 70.000 stimati clienti progettano impianti e realizzano protesi funzionali e rifinite con i software di exocad DentalCAD, ChairsideCAD ed exoplan. exocad e DentalCAD, inoltre, sono marchi di exocad GmbH o di una delle sue società controllate o affiliate, registrati negli Stati Uniti e in altri paesi. Per maggiori informazioni e per un elenco dei partner rivenditori exocad, consultare il sito exocad.com.
Sfrutta il potenziale del tuo CAD per diventare leader nell’odontoiatria digitale. Le nostre potenti soluzioni software DentalCAD®, exoplan e ChairsideCAD ti assicurano precisione, velocità e flessibilità, per una progettazione CAD e una pianificazione implantare da supereroi. Così farai crescere la tua attività con processi di lavoro efficienti, risultati prevedibili e pazienti davvero soddisfatti. Imagine the CADabilities!
L’aggiornamento è ora disponibile per l’installazione tramite il Software Manager e include una serie di nuove funzionalità e miglioramenti.
L’ultimo aggiornamento di MillBox per AG apporta miglioramenti specifici per gli utenti Amann Girrbach. Uno dei punti salienti è il flusso di lavoro aggiornato per la ceramica in vetro, che presenta una connessione diretta pin-to-pin — garantendo maggiore stabilità e riducendo significativamente il post-processing.
L’aggiornamento è disponibile tramite il Software Manager. Tutti i dettagli sulle nuove funzionalità sono disponibili su: www.cimsystem.com/dental/products/millbox-news/
Continua la lettura: www.infodentinternational.com/news/article/3688
Se hai mai avuto problemi di udito, potresti non aver considerato quanto la salute orale possa influenzare l’udito, ma la tua igiene orale potrebbe avere un ruolo. Senza cure adeguate, batteri nocivi possono svilupparsi attorno ai denti e alle gengive, portando potenzialmente a problemi come radici dentali infette, malattie parodontali e disturbi dell’articolazione temporo-mandibolare (ATM), tutti esempi di come la salute orale possa influire sull’udito. Come la salute orale si collega alle orecchie Trascurare lo spazzolamento, il filo interdentale o le visite dentistiche regolari può causare problemi come accumulo di batteri nelle radici dei denti, infezioni gengivali o disturbi della mandibola. Poiché la mandibola e diversi nervi sono strettamente collegati alle orecchie, mantenere una buona salute orale può aiutare a prevenire dolore auricolare e problemi di udito. Questa connessione dimostra ulteriormente come la salute orale possa influenzare l’udito. Esploriamo alcuni modi chiave in cui l’igiene orale può impattare sulle tue orecchie e sul tuo udito.
Continua la lettura: http://bit.ly/3UKppj8
La cheilite angolare provoca screpolature e secchezza agli angoli della bocca. Questo può portare a sanguinamento e vesciche, e la pelle può apparire squamosa e pruriginosa. Potresti anche notare un sapore sgradevole in bocca. Questa guida ti aiuterà a comprendere le cause di questa condizione e i migliori modi per affrontarla.
Migliorare la tua alimentazione può aiutare
La cheilite angolare può talvolta essere causata da una carenza di minerali, in particolare zinco, ferro e vitamina B2. Puoi aumentare il ferro consumando verdure come spinaci, soia, verdure a foglia verde e lenticchie. Agnello e manzo sono anch’essi ricchi di ferro. Fagiolini, asparagi e cavoletti di Bruxelles sono ricchi di zinco. Gli alimenti ricchi di vitamina B2 includono formaggio, manzo, agnello e pesci grassi come tonno o sgombro. Se hai difficoltà a includere questi alimenti nella tua dieta, potresti valutare l’assunzione di un integratore.
Cheilite angolare causata da infezione
Quando la saliva si accumula agli angoli della bocca, può provocare screpolature della pelle. Se lecchi le labbra per alleviare la pelle screpolata e dolorante, la situazione può peggiorare, causando un’infezione. Esistono numerosi rimedi casalinghi per combattere la cheilite angolare, semplici e facili da usare. Il miele è eccellente per lenire la pelle screpolata e possiede proprietà antibatteriche che aiutano a combattere l’infezione. Basta applicarne un po’ agli
angoli della bocca. Anche il cetriolo è utile per alleviare i sintomi. Bevi molta acqua, poiché la disidratazione può essere una delle cause della cheilite angolare. Un po’ di burro di cacao o vaselina applicati sulle labbra possono aiutare la pelle a guarire naturalmente.
Continua la lettura: https://bit.ly/41WP3F5
EDGE SURGICAL SOLUTIONS è un'azienda italiana all'avanguardia, specializzata nella progettazione e produzione di attrezzature mediche, offrendo soluzioni per diverse discipline del settore sanitario. Con un'esperienza che si estende per oltre vent'anni, ci siamo affermati come un punto di riferimento affidabile nel mercato delle forniture per professionisti. La nostra missione non si limita alla semplice produzione, ma si concentra sulla ricerca continua di soluzioni innovative e all'avanguardia per rispondere alle esigenze in continua evoluzione del panorama medico globale. Ogni prodotto che sviluppiamo è il risultato di un profondo impegno nella ricerca di materiali e tecnologie che possano fare la differenza nel lavoro quotidiano di medici e specialisti.
PROGETTAZIONE, QUALITÀ E INNOVAZIONE
La vasta gamma di prodotti che offriamo risponde a un insieme rigoroso di criteri di progettazione. La massima semplicità di utilizzo, l'ergonomia e l'affidabilità sono principi guida che orientano ogni fase dello sviluppo. Particolare attenzione viene dedicata al controllo delle infezioni, un aspetto cruciale nel settore medico, per garantire la massima sicurezza sia per i pazienti che per gli operatori. Il nostro impegno per la qualità si riflette nella scelta meticolosa dei materiali, selezionati tra i migliori sul mercato, e nell'utilizzo di componenti tecnologici di ultima generazione. Questo approccio ci permette di creare dispositivi che non sono solo efficienti, ma anche duraturi e sicuri. Il cuore pulsante della nostra innovazione è il reparto di Ricerca & Sviluppo. Composto da un team di professionisti altamente qualificati ed esperti, il dipartimento lavora costantemente per ideare e perfezionare le migliori soluzioni tecniche. Questi specialisti sono in grado di comprendere e anticipare le reali necessità degli operatori del settore, trasformando le sfide in prodotti funzionali e all'avanguardia. Il dialogo costante con la comunità medica ci permette di rimanere aggiornati sulle ultime tendenze e di sviluppare attrezzature che offrono un reale valore aggiunto.
UN PROCESSO INTEGRATO E UN IMPEGNO TOTALE VERSO IL CLIENTE
In EDGE SURGICAL SOLUTIONS, siamo orgogliosi di essere un'azienda che gestisce l'intero ciclo di vita del prodotto. Siamo direttamente coinvolti in ogni singola fase, a partire dalla progettazione e sviluppo iniziale, fino alla produzio-
ne, assemblaggio, controllo qualità, spedizione e commercializzazione. Questo processo integrato ci consente di mantenere un controllo rigoroso sugli standard qualitativi e di garantire che ogni prodotto che lascia il nostro stabilimento sia perfetto.
La nostra dedizione al cliente non si ferma alla vendita. Offriamo un supporto tecnico completo e competente, reso possibile da una capillare rete di agenti e distributori che coprono l'intero territorio. A questo si aggiunge un efficiente Servizio di Assistenza Interno, sempre pronto a rispondere a ogni esigenza. Per garantire un'esperienza d'acquisto fluida e veloce, tutti gli ordini vengono gestiti e processati con la massima celerità dal nostro team di agenti diretti e dal back-office.
redazione@infomedix.it | www.edgesurgicalsolutions.com
Comunicare valore o vendere trattamenti: dove sta la differenza?
La fiducia non si compra, si costruisce. In un mondo di promesse urlate e sconti aggressivi, scegliere la trasparenza e la coerenza significa distinguersi davvero. È lì che nasce la relazione più preziosa: quella con il paziente che sceglie di fidarsi, davvero.
L’articolo completo a pag. 12
Il progetto Organoids Factory, un'iniziativa dedicata alla medicina rigenerativa personalizzata attraverso l'uso di organoidi per migliorare la diagnosi e il trattamento dei pazienti.
Cambiamento Paradigmico nella Sperimentazione Farmaceutica
La FDA ha annunciato un cambiamento significativo nella sperimentazione dei farmaci, sostituendo gli animali con metodologie innovative.
• La FDA intende utilizzare New Approach Methodologies (NAM) per lo sviluppo di farmaci.
• Si prevede di iniziare con gli anticorpi monoclonali per eliminare gradualmente l'uso di animali.
• Le NAM includono modelli computazionali, colture cellulari e organoidi.
Organoidi: Strumenti per la Medicina Personalizzata
Gli organoidi rappresentano una nuova frontiera nella medicina rigenerativa e personalizzata.
• Gli organoidi sono strutture tridimensionali coltivate in vitro che imitano organi umani.
• Offrono opportunità per la ricerca applicata, scoperta di farmaci e riposizionamento di farmaci.
• Possono ridurre gli effetti collaterali e migliorare l'efficacia delle terapie. Applicazioni e Benefici degli Organoidi
L'uso degli organoidi ha molteplici applicazioni nel campo della salute.
• Terapie rigenerative e anti-invecchiamento.
• Minori eventi avversi e effetti collaterali.
• Ottimizzazione e riposizionamento di farmaci già approvati.
Il Ruolo del Comitato Scientifico
Un team di esperti guida la ricerca e lo sviluppo presso l'Organoids Factory.
• Dott. Vincenzo Di Donna: specialista in chirurgia vascolare e medicina rigenerativa.
• Prof. Geppino Falco: esperto di biologia molecolare con 57 pubblicazioni.
• Dott.ssa Giuliana Napolitano: ricercatore capo presso l'Università di Napoli.
Medicina Personalizzata: Verso un Futuro Sostenibile
La medicina personalizzata si sta affermando come alternativa alla medicina tradizionale.
• Si prevede che il mercato della medicina personalizzata raggiunga 1,7 trilioni di dollari entro il 2026.
• L'approccio tradizionale ha un'efficacia del 30-60% e comporta rischi di effetti collaterali.
• La medicina personalizzata è adattata alle caratteristiche individuali del paziente.
Impatto Sociale ed Economico della Medicina Personalizzata
L'implementazione della medicina personalizzata avrà effetti significativi sulla salute pubblica.
• Riduzione dei costi e dei fallimenti associati all'approccio "taglia unica".
• Miglioramento della risposta alla farmacoterapia e riduzione delle complicanze.
• Opportunità di mercato in crescita per malattie complesse come il diabete. Organoids Factory: Un Futuro Innovativo
L'Organoids Factory si propone come un centro di eccellenza per la medicina personalizzata.
• Sviluppo di laboratori per derivare organoidi da cellule staminali dei pazienti.
• Focus su diagnostica, terapia personalizzata e monitoraggio delle malattie.
• Collaborazione con pazienti, clinici, istituti di ricerca e aziende farmaceutiche.
www.mhare.com info@mhare.com
32° Congresso Nazionale L’ECCELLENZA in ODONTOIATRIA
5° Congresso AIO Academy
3° Competizione AIO Academy Studenti AISO
Roma 24 . 25 Ottobre 2025
Il mondo dell'odontoiatria si trova oggi a un bivio cruciale. Mentre la professione mantiene saldamente le proprie radici nella tradizione medica e nell'eccellenza clinica, le pressioni del mercato contemporaneo stanno ridisegnando completamente le regole del gioco. Non si tratta più semplicemente di essere bravi dentisti: occorre sapersi distinguere in un panorama sempre più affollato e competitivo. L'espansione dei grandi gruppi odontoiatrici e la moltiplicazione degli studi privati hanno creato una realtà inedita, dove la competenza tecnica, pur rimanendo fondamentale, non basta più a garantire il successo professionale.
In questo scenario, il marketing è diventato uno strumento indispensabile non solo per attrarre nuovi pazienti, ma soprattutto per costruire e mantenere un rapporto basato sulla fiducia e sul rispetto reciproco. Tuttavia, l’adozione di logiche puramente commerciali e aggressive — spesso importate da altri settori — rischia di compromettere la percezione di serietà e professionalità che rappresentano il cuore dell’attività odontoiatrica.
Nel frattempo, dall'altra parte della scrivania, è in corso una rivoluzione altrettanto significativa. Il paziente di oggi non ha nulla a che vedere con quello di vent'anni fa. Non si presenta più nello studio come un ricevente passivo di cure, disposto ad accettare senza domande diagnosi e terapie. Al contrario, arriva già informato, spesso iper-informato, con una conoscenza acquisita attraverso ricerche online che possono durare ore o giorni. Internet ha “democratizzato” l'accesso alle informazioni sanitarie, trasformando chiunque in un potenziale esperto. Forum, blog specializzati, video tutorial, recensioni di altri pazienti: ogni elemento contribuisce a formare un'opinione ancora prima del primo appuntamento. Questa evoluzione non rappresenta necessariamente un problema, ma cambia profondamente le dinamiche della relazione terapeutica. La conseguenza è evidente: trasparenza, coerenza e autenticità sono diventate le parole d'ordine di ogni interazione. Il paziente moderno ha sviluppato un “radar” molto sensibile per individuare discrepanze tra ciò che viene promesso e ciò che viene effettiva-
mente offerto. Una comunicazione superficiale o incoerente viene immediatamente percepita e punita con la perdita di fiducia. Per gli studi odontoiatrici, questo scenario richiede un ripensamento completo delle strategie comunicative. Non basta più “mettere in vetrina” prestazioni o promozioni per attirare l'attenzione. È necessario costruire un dialogo autentico, che metta al centro la qualità clinica, l'esperienza complessiva del paziente e una visione a lungo termine del benessere.
Ecco dove si colloca il marketing etico: una filosofia che va molto oltre le tecniche pubblicitarie tradizionali, rispondendo a quella domanda crescente di trasparenza che oggi i pa-
il mero rispetto delle regole. Come può uno studio odontoiatrico distinguersi in un mercato saturo di messaggi promozionali senza perdere la propria credibilità? L'obiettivo non è incrementare le vendite, ma costruire una reputazione solida che faccia dello studio un punto di riferimento indiscusso per la salute orale. Questo approccio genera un effetto moltiplicatore straordinario: pazienti soddisfatti che diventano naturalmente ambasciatori del vostro lavoro, alimentando quel fenomeno che oggi chiamiamo "passaparola 2.0" - una forma di raccomandazione amplificata dalle piattaforme digitali, infinitamente più potente di qualsiasi campagna pubblicitaria tradizionale.
e servizio realmente offerto. L’incoerenza tra la promessa comunicativa e l’esperienza clinica effettiva è, infatti, una delle principali cause di insoddisfazione e di contenziosi, oltre a essere un potente fattore di erosione della reputazione online e offline.
In Italia, la centralità della fiducia nella relazione tra paziente e dentista è confermata anche da recenti indagini nazionali. Secondo un’analisi pubblicata su Corriere Salute, il 56% degli italiani ritiene la fiducia un elemento imprescindibile nella scelta del proprio dentista, mentre ben il 95% di chi ha effettuato una visita nell’ultimo anno dichiara di avere un professionista di riferimento. Tra i principali motivi di questa scelta emergono il
zienti avanzano verso tutti i professionisti della salute. L'approccio etico al marketing odontoiatrico poggia su fondamenta solide: la correttezza nelle comunicazioni, il rigoroso rispetto delle normative di settore e la centralità assoluta del benessere del paziente. Questi non sono vincoli da subire, ma principi che guidano verso la creazione di valore autentico e condiviso. Il Codice di Deontologia Medica italiano traccia con precisione i confini entro cui deve muoversi ogni comunicazione sanitaria: veridicità, chiarezza, trasparenza e rispetto della dignità del paziente. Ma la vera sfida professionale va ben oltre
Secondo la definizione accademica proposta da Kotler e Armstrong, considerati i fondatori del cosiddetto “marketing moderno”, il concetto di etica, applicato appunto al marketing, si basa su "pratiche che rispettano i valori morali e che considerano prioritari i bisogni e i diritti dei clienti rispetto al solo profitto". In ambito sanitario, questa definizione assume un significato ancora più profondo, poiché il "cliente" è anche un paziente che si affida alla competenza e alla responsabilità del professionista per la propria salute. Un ulteriore elemento distintivo del marketing etico è la coerenza tra messaggio comunicato
rapporto fiduciario (66%) e la piena soddisfazione dei trattamenti ricevuti (48%). Questi dati confermano come la fiducia non rappresenti solo un valore etico, ma un autentico pilastro strategico per la sostenibilità e la crescita di uno studio odontoiatrico.
Continua la lettura qui:
Distribuzione dei 20.000+ contatti
Infomedix Odontoiatria Italiana è l'agenzia internazionale di editoria e marketing che pianifica per te la giusta strategia per aumentare il valore del tuo brand in tutto il mondo.
Prossime Fiere:
Target - distributori, opinion leaders, industrie dentali, associazioni internazionali Obiettivi principali - rilevanza del marchio nel commercio internazionale, lancio di prodotti, acquisizione di nuovi distributori... e molto altro in base alle tue esigenze
Central Asia Dental Expo 2025 (CADEX) [09-11/10/2025 - Kazakistan] SOLD OUT
DenTech Shanghai 2025 [23-26/10/2025 - Shanghai, Cina]
Expodental Madrid 2026 [11-13/03/2026 - Madrid, Spagna]
IDEM Singapore 2026 [17-19/04/2026 - Singapore, Singapore]
Per informazioni e per conoscere altri eventi: 0761 352198 - redazione@infomedix.it
VIII Congresso Nazionale A T A S I O
l Congresso è pensato per coloro che intendono potenziare le proprie competenze cliniche, con particolare attenzione all’identificazione dei principali indicatori di salute orale. L’accurata osservazione dei segni clinici è infatti il primo passo per definire piani di prevenzione personalizzati ed efficaci. In un contesto in cui innovazione e tecnologia rappresentano strumenti sempre più centrali nella pratica quotidiana, il congresso offrirà un’occasione unica per esplorare l’evoluzione del ruolo dell’igienista dentale. L’integrazione tra competenze tecnico-scientifiche e strumenti digitali consentirà di rafforzare l’efficacia diagnostica, migliorare la colla-
VIII Congresso Nazionale A T A S I O
Salute Orale e Medicina preventiva di Precisione: tecnologia, innovazione e prospettive future nell’attività clinica
borazione interprofessionale e contribuire attivamente alla promozione della salute dei pazienti. Il programma alternerà momenti teorici ad esperienze pratiche, offrendo un aggiornamento dinamico e altamente professionalizzante.
L’obiettivo è offrire ai professionisti un’esperienza formativa concreta, utile e immediatamente spendibile nel proprio ambito di lavoro.
Roma, 6-7 febbraio 2026
Dipartimento di Scienze Odontostomatologiche e Maxillo Facciali
Sapienza Università di Roma
DIRETTIVO
Gianna Maria Nardi - Presidente
Silvia Sabatini - Vice Presidente
Matteo Castaldi- Segreteria Generale
Arcangela Colavito – Tesoriere
Michela Antonioni - Consigliere
Giovanna Acito - Consigliere
Lorella Chiavistelli - Consigliere
Prof. Gianna Maria Nardi Presidente ATASIO
a ricerca scientifica, processo sistematico per acquisire nuove conoscenze, è stata stimolata ad indagare gli approcci clinici e le tecnologie sofisticate che permettano di produrre salute del cavo orale, attenzione che è rivolta non esclusivamente all’effetto di una patologia ed alla riabilitazione dei danni procurati, ma deve essere focalizzata preventivamente sulla sua eziologia. La salute del cavo orale è legata a protocolli operativi di prevenzione, che devono essere in grado di essere efficaci nel coniugare salute e bellezza, poiché il sorriso è il più importante strumento di comunicazione e di socializzazione e permette salute psico-fisica ambientale. L’efficienza di noi operatori sanitari passa dalla decisione di scelta dei protocolli operativi opportuni, scelti in maniera dinamica in base alla situazione clinica, sia del cavo orale che sistemica della persona assistita, condividendo e concordando in maniera attiva il piano terapeutico di prevenzione. La diagnosi e l’indicazione deve portare l’igienista dentale durante i follow-up ad una attenta osservazione clinica, intercettazione precoce degli indici di rischio ed un approccio motivazionale personalizzato e vanno stimolate eventuali modifiche comportamentali necessarie. La luminosità del sorriso deve essere inserita nei protocolli di prevenzione poiché l’approccio cosmetico potrebbe diventare per l’operatore una strategia per stimolare, nelle persone assistite di ogni fascia d’età, una maggiore attenzione verso comportamenti salutari ed una migliore efficacia dei protocolli domiciliari. L’evoluzione tecnologica ha permesso di poter utilizzare il principio attivo PAP, una formula a base di acido ftalimidoperossicaproico (PAP), privo di perossido di idrogeno e/o di carbamide. BRILLIANT LUMINA (Coltene) oltre alla mininvasività del principio attivo sulla superficie dentale, risulta essere un protocollo operativo ergonomico: 3 gocce di liquido attivatore all’interno del barattolino di gel sbiancante da 2 ml, mescolato con una spatolina per 60 secondi, fino ad ottenere una massa omogenea, che, in seguito all’apposizione e fotopolimerizzazione della diga liquida
HySolate Liquid Dam per la protezione dei tessuti gengivali, viene applicato sulle superfici dentali, eseguendo 4 step da 15 minuti ognuno, aspirando e ri-
Salute Orale e Medicina preventiva di Precisione: tecnologia, innovazione e prospettive future nell’attività clinica
the date
DIRETTIVO
Gianna Maria Nardi - Presidente
Silvia Sabatini - Vice Presidente
Roma, 6-7 febbraio 2026
Matteo Castaldi- Segreteria Generale
Arcangela Colavito – Tesoriere
Dipartimento di Scienze Odontostomatologiche e Maxillo Facciali
Michela Antonioni - Consigliere
Sapienza Università di Roma
Giovanna Acito - Consigliere
DIRETTIVO
Lorella Chiavistelli - Consigliere
Gianna Maria Nardi - Presidente
Silvia Sabatini - Vice Presidente
Salute Orale e Medicina preventiva di Precisione: tecnologia, innovazione e prospettive future nell’attività clinica Save the date
Matteo Castaldi- Segreteria Generale
Arcangela Colavito – Tesoriere
Michela Antonioni - Consigliere
Giovanna Acito - Consigliere
Lorella Chiavistelli - Consigliere
Save the date
muovendo il gel dopo ogni step. La luminosità del sorriso ottenuta, non può prescindere dai corretti stili di vita, e dal controllo dell’eubiosi del cavo orale professionale e domicilia re. Per il controllo chimico del biofilm batterico vanno scelti principi attivi che non attivino discromie. Listerine
Total Care Gusto Delicato, grazie alla presenza dei 4 Oli essenziali (timolo, eucaliptolo, mentolo, salicilato di me tile), Zinco e Fluoruro di sodio (450 ppm) è la protezione più completa e avanzata di Listerine. L’utilizzo controlla l’attività batterica, protegge dal processo carioso, aiuta a prevenire l’infiammazione gengivale e controlla l’attività batterica nello spazio interdentale. Altri aspetti significativi sono il rallentamento della formazione del tartaro, l'alito fresco e il mantenimento del sorriso luminoso.
Nel caso di infiammazioni gengivali presenti, prima dello sbiancamento, l’ozonoterapia con olio di oliva ozonizzato, Ialozon gel (GEMAVIP) risulta essere un ausilio opportuno sia nella composizione in gel, lenitivo e disinfettante su eventuali traumatismi sulle mucose, che per il controllo dell’attività batterica e antimicotica, con irrigazioni sopra e sotto gengivali con acqua all'olio d'oliva ozonizzato Trolley Komby Dental Ozone Active (GEMAVIP).
Bibliografia:
1. Milleman J, Bosma ML, McGuire JA, Sunkara A, McAdoo K, DelSasso A, Wills K, Milleman K. “Comparative Effectiveness of Toothbrushing, Flossing and Mouthrinse Regimens on Plaque and Gingivitis: A 12-week virtually supervised clinical trial.” J Dent Hyg. 2022 Jun;96(3):21-34. PMID: 35654564. https://pubmed.ncbi.nlm.nih. gov/35654564/
2. Bosma ML, McGuire JA, Sunkara A, DelSasso A, Milleman J, Milleman K. Efficacy of flossing and mouth rinsing regimens on plaque and gingivitis: a randomized clinical trial. BMC Oral Health. 2024 Feb 3;24(1):178. PMID: 38310236.https://pubmed.ncbi. nlm.nih.gov/38310236/
3. Pardo A, Signoriello A, Brancato G, Brancato R, Messina E, Faccioni P, Marcoccia S, Nardi GM, Lombardo G, "Effectiveness of Ozone Therapy in Non-Surgical Periodontal Treatment: A Meta-Analysis of Topical Applications". J. Clin. Med. 2025, 14, 5124
4. Grassi R, Ciccone F, De Falco D, Castaldi M, Agneta MT, Nardi GM, Petruzzi M, "Clinical and Microbiological Study on Local Application of an Ozonated Olive Oil Gel in the Periodontal Pockets: A Randomized Double-Blind Trial, J. Clin. Med. 2025, 14, 5182
PRESIDENTI
Antonella Polimeni
Ugo Covani
COORDINAMENTO SCIENTIFICO
Gianna Maria Nardi
Roberta Grassi
COMITATO SCIENTIFICO
Felice Roberto Grassi
Fabrizio Guerra
Marta Mazur
Livia Ottolenghi
Gaspare Palaia
Andrea Pilloni
Umberto Romeo
Gianluca Tenore
Iole Vozza
LA SALUTE ORALE E L’INVECCHIAMENTO DELLA POPOLAZIONE: s de e soluzioni
ORAL HEALTH AND POPULATION AGEING: Challenges and Solutions
Best Western Plus Hotel Universo Via Principe Amedeo, 5/B, 00185 Roma RM
08.30
09.00
09.15
Registrazione dei partecipanti
Apertura dei lavori congressuali
Ugo Covani
Intervento di apertura della Magni ca Rettrice della Sapienza Università di Roma e Presidente del Comitato Scienti co
Antonella Polimeni
Moderatori: Maurizio Bossù, Michele Cassetta
09.30 La Geroscienza: L’invecchiamento Fra Biologia e Patologia
Ugo Covani
09.45 Riconosciamo insieme il paziente anziano parodontale: la visione team approach igienista/parodontologo
10.30
11.15
11.45
Andrea Pilloni
Salute e orale e funzioni cognitive
Giovambattista Desideri
Pausa: visita all‘area tecnologica
Salute orale e prospettiva di vita in aumento: nuove s de e nuove soluzioni
Gianluca Russo
12.15 Il ruolo dell’igienista dentale dal bambino all’anziano
Laura Strohmenger
12.30 La mucosa orale e le sue patologie nel paziente che invecchia
Umberto Romeo
13.00 Igiene orale traslazionale: dal controllo locale dell'in ammazione alla prevenzione sistemica
13.30
14.30
14.45
Elisabetta Ferrara
Pausa
Ottimizzazione della salute orale nell'anziano: remineralizzazione e controllo dell'in ammazione
Piero Trabalza
Moderatori: Iole Vozza, Fabrizio Guerra
Salute orale e invecchiamento di successo: verso l’Odontoiatria Positiva
Eugenio Luigi Iorio
15.30 Non bruciamoci il sorriso: senza fumo si può
Alessandro Chiesa, Gianna Maria Nardi
16.00 Pausa: visita all’area tecnologica
16.30 Microbi DNA e Longevità: La storia della Blue zone attraverso la Medicina Orale
Germano Orrù
17.00 Oltre il Tempo: Nuove Frontiere dell’Implantologia per la Terza Età
Roberto Grassi, Fabio Scarano Catanzaro, Roberta Grassi
17.30 Metabolismo e longevità
Antonio Pelliccia, Flora Sculco, Annalisa Fregola
18.30 Chiusura dei lavori congressuali
SABATO 20 SETTEMBRE 2025
08.45 Apertura dei lavori congressuali
Moderatori: Annamaria Genovesi, Augusta Virno
09.00 Insieme per rimuovere gli ostacoli e per donare il sorriso agli anziani
09.30
08.30
09.00
09.15
09.30
09.45
10.30
11.15
11.45
12.15
12.30
13.00
13.30
14.30
14.45
15.30
16.00
16.30
Laila Perciballi
Curare con i dati, per prendersi cura delle persone
Sergio Pillon
10.00 Le funzioni gnatologiche: un fattore chiave per una sana longevità
Carlo Di Paolo
10.30 La percezione del colore dentale nelle diverse età della vita
Marta Mazur
11.00 Pausa: visita all‘area tecnologica
11.30 Oltre l’età, dentro la cura: incontrare l’anziano nella dimensione della salute orale
Maria Teresa Agneta
12.00
Salute orale, invecchiamento e malattie cardiovascolari: dalla ricerca di base alla clinica
Alessia Pardo
12.30 Ascoltare, assistere, agire: il giusto approccio alla salute orale dell’anziano
Gianna Maria Nardi
13.00 Chiusura dei lavori del 18th International Meeting Accademia Il Chirone
SPONSOR
FRIDAY 19 SEPTEMBER 2025
Participants registration
Opening of the Congress proceedings
Ugo Covani
Opening Speech by the Chancellor of Sapienza University of Rome and President of the Scienti c Committee
Antonella Polimeni
Chairmen: Maurizio Bossù, Michele Cassetta
Geroscience: Ageing Between Biology and Pathology
Ugo Covani
Recognizing the Elderly Periodontal Patient Together: A Team Approach from Hygienist and Periodontist
Andrea Pilloni
Oral Health and Cognitive Functions
Giovambattista Desideri
Break: Visit to the Technology Area
Oral Health and Increasing Life Expectancy: New Challenges and New Solutions
Gianluca Russo
The Role of the Dental Hygienist from Childhood to Old Age
Laura Strohmenger
The Oral Mucosa and Its Pathologies in the Ageing Patient
Umberto Romeo
Translational Oral Hygiene: From Local In ammation Control to Systemic Prevention
Elisabetta Ferrara
Break
Optimizing Oral Health in the Elderly: Remineralization and In ammation Control
Piero Trabalza
Chairmen: Iole Vozza, Fabrizio Guerra
Oral Health and Successful Ageing: Toward Positive Dentistry
Eugenio Luigi Iorio
Don’t Burn Your Smile: Smoke-Free Is Possiblesation and Sustainability
Alessandro Chiesa, Gianna Maria Nardi
Break: Visit to the Technology Area
Microbial DNA and Longevity: The Story of the Blue Zone Through Oral Medicine
Germano Orrù
17.00 Beyond Time: New Frontiers in Implantology for the Elderly
17.30
18.30
08.45
Roberto Grassi, Fabio Scarano Catanzaro, Roberta Grassi
Metabolism and Longevity
Antonio Pelliccia, Flora Sculco, Annalisa Fregola
Closing of the Congress Sessions
SATURDAY 20 SEPTEMBER 2025
Opening of the Congress Sessions
Chairmen: Annamaria Genovesi, Augusta Virno
09.00 Together to Remove Barriers and Restore Smiles to the Elderly
Laila Perciballi
09.30 Healing with Data, Caring for People
Sergio Pillon
10.00
10.30
Gnathological Functions: A Key Factor for Healthy Longevity
Carlo Di Paolo
Tooth Color Perception Across Di erent Life Stages
Marta Mazur
11.00 Break: visit to the technological area
11.30 Beyond Age, Into Care: Meeting the Elderly Within the Dimension of Oral Health
Maria Teresa Agneta
12.00
Oral Health, Ageing, and Cardiovascular Diseases: From Basic Research to Clinical Practice
Alessia Pardo
12.30 Listen, Assist, Act: The Right Approach to Oral Health in the Elderly
Gianna Maria Nardi
13.00
Closing of the 18th International Meeting Accademia Il Chirone
ISCRIZIONI
L’iscrizione è gratuita ma obbligatoria e dà diritto alla partecipazione alle sessioni scienti che e all’attestato di partecipazione. Scansiona il qr-code e compila il form on-line
Website www.accademiailchirone.it Segreteria organizzativa Sorriso.it Srl Via Giovanni Falcone10 - 70018 Rutigliano (BA) Per informazioni congresso.accademiailchirone@gmail.com
Referente: Stefania Nanni (cell. +39 349 8164735) Elaborazione e gra ca a cura di
redazione@infomedix.it
Rossella Abbondanza
el contesto dinamico dell’odontoiatria moderna, l’Assistente di Studio Odontoiatrico (ASO) ricopre un ruolo sempre più strategico. L’introduzione di tecnologie avanzate, l’evoluzione normativa e la crescente attenzione al rapporto umano con il paziente richiedono competenze sempre al passo con le novità del settore. Per questo, pur essendo un obbligo di legge da adempiere annualmente, la formazione continua rappresenta una reale occasione di crescita professionale. Fino a quando non è stato reso obbligatorio l’aggiornamento per noi ASO la conoscenza dell’odontoiatria si limitava a ciò che veniva svolto nello studio odontoiatrico in cui si prestava la nostra opera mentre oggi, soprattutto per chi cavalca l’onda anziché subirla, l’aggiornamento consente di affacciarsi su un panorama più ampio di conoscenze e di competenze. Ma, a proposito dell’obbligatorietà, vediamo, cosa dice la legge?
Il DPCM 9 febbraio 2018 ha istituito ufficialmente la figura dell’ASO, stabilendo l’obbligo di aggiornamento professionale prevedendo la frequenza di eventi formativi che consentano di acquisire almeno 10 ore di formazione ogni anno al fine di mantenere l’abilitazione alla professione. Attenzione però! Non si tratta di un tetto massimo di monte ore, ma di un minimo legale. Inoltre, in DPCM non parla né di ECM né di crediti formativi ma di ore acquisite attraverso la frequenza di eventi formativi. Considerando la varietà di competenze oggi richieste – dai protocolli di sterilizzazione all’uso di strumenti digitali, passando per la gestione della comunicazione con il paziente – limitarsi alla frequenza di dieci ore rischia di essere fortemente limitante. Formarsi è una scelta intelligente, non solo un dovere Investire nella formazione non significa solo rispettare una norma, ma acquisire vantaggi concreti:
• Aggiornarsi su tecnologie, materiali e protocolli sempre più innovativi;
• Migliorare le abilità relazionali, fondamentali con pazienti ansiosi o poco informati;
• Garantire maggiore sicurezza sul lavoro, riducendo rischi biologici e organizzativi;
• Aumentare il proprio valore professionale agli occhi di colleghi e datori di lavoro. Un ASO formato e competente contribuisce al buon funzionamento dello studio, migliora l’esperienza del paziente e rafforza la propria posizione nel mercato del lavoro. Ma quali sono oggi le conseguenze del mancato aggiornamento?
Ignorare l’obbligo formativo comporta seri rischi:
• Perdita dell’abilitazione (non della qualifica… avete mai sentito di qualcuno che abbia perso la titolarità di un diploma o della laurea per mancanza di esercizio o di ECM?), con conseguente impossibilità di esercitare legalmente? Chi vi dice che dovete ripetere il percorso formativo dice assurdità.
• Sanzioni per lo studio, che può essere soggetto a controlli e quindi a sanzioni (anche se di fatto non è indicata in alcun documento ufficiale quali potrebbero essere le conseguenze del mancato aggiornamento dell’ASO e in quale misura coinvolgerebbe lo studio odontoiatrico essendo un’inadempienza dell’ASO e non del titolare che però ha l’obbligo di sorvegliare sui dipendenti affinché tutto sia in regola;
• Problemi assicurativi, in caso di contenziosi o incidenti (per ovvi motivi);
• Esclusione da nuove opportunità lavorative, in un settore sempre più esigente. Di fatto oggi molti odontoiatri si rifiutano di assumere personale non in regola con l’aggiornamento annuale proprio perché il vuoto normativo lascia aperte le porte a situazioni imprevedibili.
Non esiste attualmente una procedura chiara per “recuperare” le ore non svolte, quindi la parola d’ordine è: non rimandare! Il suggerimento utile? Contatta IDEA per valutare con i nostri consulenti la tua situazione e gestire il tuo caso specifico.
Formazione accessibile e tutelata
Il Contratto Collettivo Nazionale garantisce il diritto ai permessi retribuiti per motivi di studio, purché la formazione sia pertinente al ruolo. La partecipazione può avve-
nire in presenza o online (FAD), purché tramite enti abilitati e con rilascio di relativo attestato valido (ogni regione ha deliberato in modo differente quindi è opportuno essere ben informati sui requisiti richiesti).
È fondamentale che ASO e datore di lavoro pianifichino insieme la formazione, trasformandola in un investimento condiviso, e non in un semplice obbligo da assolvere; ma è anche vero che ogni ASO ha esigenze personali di crescita che deve poter alimentare. A questo si aggiunge la necessità di acquisire tutte le competenze che il DPCM richiede all’ASO e che abilitano la figura al lavoro.
Scegliere qualità, dunque, non solo quantità
Frequentare corsi solo per “spuntare una casella” non produce alcun valore. È invece cruciale scegliere enti seri, docenti competenti (soprattutto qualificati!) e programmi che offrano contenuti attuali, esempi concreti, casi pratici e aggiornamenti normativi.
Dal 2009, IDEA si impegna proprio in questa direzione: proporre percorsi di alta qualità, diversificati e stimolanti, per permettere agli ASO di ampliare concretamente le proprie competenze e restare o diventare curiosi verso nuove aree di specializzazione. Inoltre, il confronto continuo con colleghe di lunga e certificata esperienza, anche molto specialistica, costituisce un valido supporto per chiunque nutra incertezze o abbia necessità di suggerimenti utili. Aggiungerei anche la grande opportunità che IDEA offre a chi desidera trasferirsi in un’altra regione, in quanto, la rete costituita dai nostri dai nostri tremila associati, agevola nel reperimento di informazioni e spesso anche nell’inserimento lavorativo.
L’odontoiatria è cambiata molto negli ultimi cinque anni, e cambia continuamente e rapidamente. La conoscenza di scanner intraorali, radiografie 3D, software gestionali, l’attenzione alla sostenibilità e alla comunicazione, rendono L’ASO di oggi protagonista di un ruolo evoluto e sempre più specializzato. In questo scenario, l’ASO non è più un supporto passivo, ma un collaboratore attivo e formato. Chi sceglie di aggiornarsi è pronto ad affrontare il futuro con sicurezza e consapevolezza.
Investi su te stesso!
L’aggiornamento annuale non è solo un dovere, ma un atto di responsabilità verso se stessi, i pazienti e il team di lavoro. In un settore in continua evoluzione, formarsi significa essere competitivi, conoscere i propri diritti tanto quanto i propri doveri, essere preparati e pronti ad accogliere le novità che il settore ci riserverà nei prossimi anni. Studiare motivati rende più agile l’apprendimento, ascoltare passivamente un relatore che parla snocciolando decine di concetti, che a volte risultano anche ripetitivi o eccessivi per essere assimilati integralmente, non sarà utile.
Alcuni consigli validi:
1. non aspettare che un controllo o una sanzione ti ricordino quanto sia importante aggiornarsi;
2. scegli oggi la formazione di qualità;
3. costruisci la tua crescita con passione;
4. rendi il tuo ruolo davvero indispensabile.
5. scegli il tuo percorso, amplia le tue competenze e investi nel tuo futuro professionale.
Il cambiamento comincia da te e con te ci siamo noi!
Midas rappresenta una vera rivoluzione nel mondo della restaurazione dentale digitale. Ideato per semplificare i flussi di lavoro e velocizzare le procedure, questo innovativo sistema consente ai professionisti di ottenere restauri definitivi di altissima qualità in tempi ridottissimi, garantendo al contempo facilità d’uso e risultati estetici eccellenti.
La vera forza di Midas sta nella sua estrema semplicità. Il sistema utilizza capsule di resina monouso che rendono il processo di stampa rapido, pulito e intuitivo. È sufficiente inserire la capsula, avviare la stampa e, in meno di
dieci minuti, è possibile ottenere fino a tre corone definitive già pronte per l’applicazione. In alternativa, si possono produrre sei inlay/onlay o nove faccette, in base alle esigenze del paziente. Questa immediatezza consente di ottimizzare il tempo dello studio e migliorare significativamente l’esperienza del paziente.
Alla base di Midas c’è la tecnologia brevettata Digital Press Stereolithography (DPS), sviluppata da SprintRay. Questa innovazione utilizza resine ceramiche altamente viscose, arricchite con particelle ad alte prestazioni, che assicurano restaurazioni robuste, resistenti e dal design estetico superiore. Dalle corone agli intarsi, dagli onlay alle faccette, ogni restauro viene prodotto direttamente in studio con una precisione sorprendente, riducendo al minimo la necessità di ritocchi e garantendo risultati finali dall’aspetto naturale.
Un altro punto di forza è l’integrazione nativa con AI Studio, il software intelligente di SprintRay. Questo strumento automatizza la progettazione dei restauri, semplificando ulteriormente il lavoro del dentista. Grazie alla compatibilità con i principali scanner intraorali presenti sul mercato, Midas può essere inserito facilmente nei flussi digitali già esistenti, senza richiedere adattamenti complessi o tempi di apprendimento lunghi.
Per i professionisti, questo significa poter contare su un sistema che unisce efficienza, precisione e affidabilità, aumentando la produttività dello studio e offrendo ai pazienti restauri di qualità superiore in tempi record. Per i pazienti, invece, Midas rappresenta un vantaggio concreto: interventi più rapidi, meno appuntamenti e soluzioni estetiche immediatamente funzionali. In un settore in continua evoluzione, dove la velocità e l’affidabilità fanno la differenza, Midas si propone come la scelta ideale per i dentisti che vogliono distinguersi e offrire un servizio all’avanguardia. Con la sua combinazione unica di tecnologia innovativa, facilità d’uso e risultati di alto livello, Midas non è solo un nuovo strumento: è il futuro della restaurazione dentale, disponibile oggi.
Per maggiori informazioni visita www.sprintray.com o contatta info.eu@sprintray.com
Domenico Parroccini Vice Presidente AIOLA
Il seguente articolo descrive un caso clinico di trattamento di lesioni cariose sugli incisivi centrali dell ‘arcata superiore, gestite interamente mediante laser ad erbio (Er:YAG), evitando l'uso di trapano rotante e anestesia. Vengono illustrati i passaggi operativi, i vantaggi clinici, il comfort del paziente e le considerazioni finali sull'efficacia del laser erbio nelle procedure conservative.
Introduzione
Il laser ad erbio (Er:YAG, lunghezza d’onda 2940 nm) rappresenta una delle tecnologie più avanzate in odontoiatria conservativa, particolarmente indicata per l’ablazione dei tessuti duri dentali grazie alla sua elevata affinità per l’acqua e l’idrossiapatite. Questo tipo di laser consente un approccio minimamente invasivo, spesso senza necessità di anestesia e con un comfort elevato per il paziente.
Caratteristiche tecniche
• Lunghezza d’onda: 2.940 nm (Er:YAG) – altamente assorbita dall’acqua e dall’idrossiapatite
• Modalità d’azione: rimozione tissutale per ablazione fotomeccanica (effetto “microesplosione”)
• Sistema di raffreddamento: necessario l’uso di spray acqua-aria per evitare surriscaldamenti
Descrizione del caso clinico
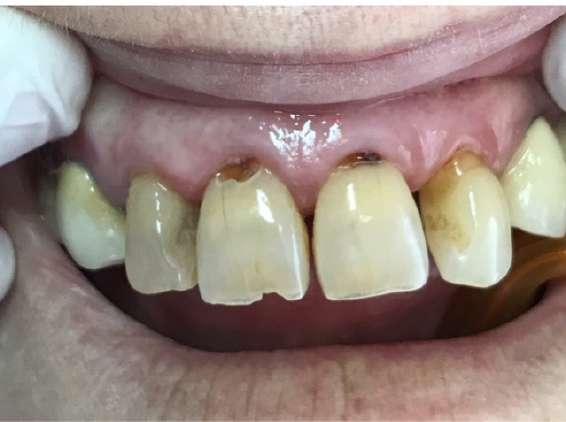
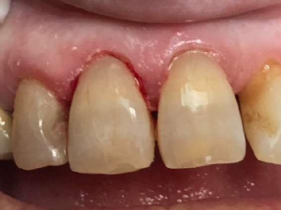
Anamnesi e diagnosi
Paziente di sesso femminile, 36 anni, si presenta con sensibilità termica e dolenzia saltuaria a livello del 11 e del 21. L’esame clinico evidenzia lesioni cariose a livello del colletto con potenziale coinvolgimento pulpare. Viene eseguito esame clinico con test di vitalità che conferma la profondità della carie, ma senza coinvolgimento pulpare.
Procedura operativa con laser Er:YAG
• Apparecchiatura utilizzata: Laser ad erbio (2940 nm)
• Parametri impiegati:
o Modalità: SSP (Super Short Pulse)
o Energia: 200 mJ
o Frequenza: 20 Hz
o Irrigazione: con spray d’acqua (per raffreddamento e rimozione detriti)
Caratteristiche tecniche
• Lunghezza d’onda : 2.940 nm (Er:YAG) – altamente assorbita dall’acqua e dall’idrossiapatite
• Modalità d’azione : rimozione tissutale per ablazione fotomeccanica (effetto “microesplosione”)
• Sistema di raffreddamento : necessario l’uso di spray acqua-aria per evitare surriscaldamenti
Applicazioni principali in odontoiatria
• Rimozione carie e preparazione cavitaria
• Trattamenti parodontali (decontaminazione tasche)
• Chirurgia gengivale e peri-implantare
• Frenulectomie e biopsie
• Disinfezione canalare in endodonzia
• Trattamento delle lesioni da ipersensibilità dentinale
Procedura operativa
1. Anamnesi e valutazione iniziale
Il paziente non presentava allergie note né patologie sistemiche. Radiografia endorale evidenziava una carie estesa nella porzione distale del dente 11 e 21 già evidente clinicamente all’ispezione orale.
2. Preparazione
È stato scelto il trattamento con laser Er:YAG, evitando anestesia locale grazie all’assenza di dolore durante l’ablazione. È stato utilizzato un manipolo con spray acqua-aria per evitare il surriscaldamento.
3. Ablazione cariosa
Con il laser impostato a 200 mJ, 20 Hz, modalità H mode (alta energia), si è proceduto alla rimozione selettiva della dentina cariata, preservando la dentina sana e mantenendo il massimo controllo visivo grazie all’assenza di vibrazione e rumore.
4. Detersione e disinfezione
Dopo l’ablazione, il sito è stato trattato sempre con il laser in modalità soft (100 mJ, 10 Hz) per una disinfezione profonda, grazie all’effetto fotomeccanico sulle pareti dentinali.
5. Restauro
Il restauro è stato eseguito con tecnica adesiva diretta (composito nanoibrido), con mordenzatura selettiva e bonding autopolimerizzante.
Risultati
• Assenza di dolore durante e dopo la procedura.
• Nessuna sensibilità post-operatoria.
• Sigillo perfetto e risultato estetico ottimale.
• Follow-up a 6 mesi: ottimo stato del restauro, assenza di recidiva cariosa o sensibilità.
Discussione
Il trattamento con laser ad erbio ha permesso un approccio ultra-conservativo, selettivo e confortevole. L’assenza di vibrazioni e rumore ha migliorato notevolmente la compliance della paziente.
La capacità del laser di conservare la dentina sana e di sterilizzare la cavità rappresenta un vantaggio significativo rispetto alle tecniche convenzionali. L’uso del laser ad erbio consente un approccio minimamente invasivo, con una selettività tissutale elevata e una riduzione del biofilm batterico intracavitario. In questo caso, il paziente ha beneficiato di un trattamento privo di stress, con conservazione strutturale del dente e assenza di dolore
Conclusione
Il laser Er:YAG si conferma uno strumento efficace, preciso e ben tollerato nella gestione di carie profonde, permettendo risultati clinici di qualità superiore con un’esperienza positiva per il paziente.
Il laser ad erbio rappresenta una valida alternativa alla strumentazione rotante tradizionale nella gestione della carie, soprattutto nei pazienti ansiosi o pediatrici, grazie al suo effetto atraumatico e alla maggiore compliance che ne deriva. Nel trattamento presentato in questo caso clinico, l'utilizzo del laser ad erbio (Er:YAG) ha permesso un approccio conservativo, minimamente invasivo e ad alta precisione per la rimozione della carie profonda. Il risultato clinico positivo, unito alla soddisfazione del paziente e all'assenza di complicanze post-operatorie, trova pieno supporto nella letteratura scientifica che sottolinea i benefici di questa tecnologia.
Auspichiamo che il nostro umile contributo clinico arricchisca il panorama dell'odontoiatria laser-assistita, offrendo una testimonianza concreta dell'efficacia dell’Er:YAG nella pratica quotidiana. Per questo motivo, la bibliografia suggerita non include solo testi generali, ma anche fonti che rafforzano e convalidano la nostra esperienza diretta, includendo autori italiani di riferimento come Maggioni e Scarpelli, che considero i miei autorevoli maestri del settore.
Bibliografia essenziale
1. Hibst R., Keller U. (1989). Experimental studies of the application of the Er:YAG laser on dental hard substances. Lasers in Surgery and Medicine, 9(4), 338–344.
2. Aoki A., Sasaki K.M., Watanabe H., Ishikawa I. (2004). Lasers in nonsurgical periodontal therapy. Periodontology 2000, 36(1), 59–97.
3. Gutknecht N., Franzen R., Lampert F. (2000). Comparison of caries removal by Er:YAG laser and mechanical bur: a scanning electron microscopy study. Journal of Dentistry, 28(6), 447–452.
4. Maggioni M., Attanasio T., Scarpelli F. (2009). I Laser in Odontoiatria. Padova: Piccin.
5. Pozzani E., Maggioni M., Scarpelli F. (2008). I Laser ad Erbium YAG e Diodi in Odontoiatria – Applicazioni nella terapia dei pazienti disabili. Kavo Dental Excellence.
6. Rechmann P., et al. (2011). Laser caries ablation and its effect on the bond strength of composite to enamel and dentin. Journal of the American Dental Association, 142(2), 138–146.
7. Convissar R.A. (2015). Principles and Practice of Laser Dentistry (2nd ed.). Mosby Elsevier.
Dr. Salvatore Luca La Terra DDS- MSc- PhD Scholar- Consiglio Direttivo AIOLA
IDr.ssa Rosamarina Maggioni
Socia AIOLA
l fibroma traumatico è una lesione orale frequente causata da irritazioni croniche. Viene presentato il caso di una paziente trattata con laser a diodi che ha mostrato guarigione completa in 7 giorni e nessuna recidiva a un mese. Il laser si conferma un'opzione sicura, efficace e ben tollerata per le lesioni benigne del cavo orale.
Introduzione
Gli stimoli cronici o ripetuti della mucosa orale inclusi traumi meccanici, irritazioni da protesi incongrue, morsi accidentali e parafunzioni possono determinare la formazione di lesioni reattive incluso il fibroma traumatico [1]. Istologicamente, è costituito da epitelio squamoso e tessuto connettivo fibroso iperplastico. L’aspetto clinico spesso rivela una massa ben circoscritta, talvolta peduncolata, che cresce lentamente, di consistenza fibrosa, asintomatica. L’escissione chirurgica con bisturi a lama fredda rappresenta l’approccio tradizionale. Di recente, l’uso crescente dei laser chirurgici, principalmente il laser a diodi, si è dimostrato molto vantaggioso [2,3] grazie al ridotto trauma tissutale, al miglior controllo del sanguinamento, all’assenza di suture, al minor discomfort post-operatorio e a guarigioni più rapide.
Nel presente studio vengono analizzati la procedura operativa e gli esiti clinici di un caso di escissione chirurgica di fibroma orale con laser a diodi.
Materiali e Metodi
Paziente
La paziente, di sesso femminile, 60 anni, non fumatrice, in buona condizione medica generale (ASA I), lamentava di avere da circa dieci mesi a livello della mucosa del labbro inferiore sinistro una tumefazione irregolare, a crescita lenta e asintomatica, ma che causava problemi estetici e funzionali. Anamnesi positiva per episodi frequenti di morsicatura accidentale della zona.
Esame Obiettivo
All'esame clinico veniva evidenziata una neoformazione ad ampia base sessile, superficie liscia e consistenza teso-elastica con un diametro massimo di circa 8 mm. La lesione era non ulcerata, non dolente alla palpazione e di colore roseo, simile alla mucosa circostante. Non erano apprezzabili adenopatie loco-regionali. (Fig. 1).
Compatibilmente con i dati clinici, il sospetto diagnostico era di fibroma traumatico determinato dal traumatismo meccanico cronico causato da morsicature accidentali della mucosa labiale.
Strumentazione e Procedura Chirurgica
Dr.ssa Arianna Mosca
Socia AIOLA
non mostrava segni di carbonizzazione e veniva fatto guarire per seconda intenzione (Fig. 2). Dopo aver applicato localmente gel antisettico e fornite le istruzioni per il post-operatorio alla paziente, per ridurre il rischio di recidive si procedeva alla smussatura delle cuspidi degli elementi dentali prossimi alla sede della lesione. Si procedeva successivamente all’invio del campione bioptico per l'esame istopatologico, conservato opportunamente (immersione in formalina tamponata neutra al 10%).
Risultati
Nessun episodio di sanguinamento o infezione è stato evidenziato nel post-intervento eccetto per un lieve fastidio riferito nei primi due giorni gestito con paracetamolo. Al follow-up a sette giorni si rilevava una completa epitelizzazione dell’area trattata in assenza di dolore o edema. A trenta giorni si osservava una completa guarigione in assenza di recidive (Fig. 3-4). L'esame istologico ha mostrato tessuto connettivo denso con una componente cellulare costituita principalmente da fibroblasti e un modesto infiltrato infiammatorio cronico, rivestito da epitelio squamoso non ulcerato, confermando la diagnosi di fibroma traumatico.
Discussione
Una lesione benigna frequente del cavo orale causata da stimoli irritativi persistenti è rappresentata dal fibroma traumatico. In questo caso la causa è stata individuata nelle ripetute morsicature accidentali durante la masticazione. In linea con numerosi studi in letteratura, il laser a diodi si è rivelato efficace e sicuro per l'escissione di lesioni benigne dei tessuti molli orali [3,4]. In questo caso l’approccio chirurgico laser assistito ha consentito diversi benefici rispetto alla chirurgia tradizionale tra cui una maggiore precisione e una minima invasività sui tessuti, una risposta infiammatoria ridotta, e una guarigione rapida e ottimale. L’uso di analgesici è stato minimo, a conferma di un comfort post-chirurgico ottimale. L'effetto coagulante e l’assenza di suture hanno assicurato un campo operatorio asciutto rendendo semplice la procedura e riducendo notevolmente i tempi operatori con ampia soddisfazione della paziente. È importante sottolineare che tali vantaggi lo rendono particolarmente utile nei pazienti ansiosi o in condizioni cliniche che richiedono trattamento e recupero rapidi. Tuttavia, per prevenire eventuali danni termici e inefficienze operative, la formazione adeguata dell'operatore è essenziale [2].
Conclusioni
L’escissione chirurgica è stata effettuata tramite laser a diodi in modalità continua, lunghezza d'onda 980 nm, potenza 2 W e fibra ottica da 320 μm. Preoperatoriamente l'area veniva disinfettata con clorexidina 0,2%. Successivamente veniva effettuata in dose minima anestesia locale perilesionale (mepivacaina al 3%). Dopo aver isolato il campo operatorio utilizzando garze sterili veniva eseguita l’asportazione del fibroma effettuando un movimento continuo circumferenziale e controllato della fibra laser alla base della lesione mantenendo il fibroma con una pinzetta chirurgica. L'incisione veniva estesa oltre i margini in tessuto sano seguendo la metodica di escissioni/ incisioni. L’intera procedura è stata rapida. Nessun sanguinamento rilevante è stato segnalato intraoperatoriamente poiché l'effetto fototermico coagulante del laser ha consentito una sufficiente emostasi [4]. Il sito postoperatorio immediato
Il caso descritto conferma l’efficacia del laser a diodi per l’escissione chirurgica dei fibromi traumatici orali grazie alla elevata precisione, alle proprietà coagulative, e al minor traumatismo permettendo guarigioni più rapide e tempi operativi ridotti con elevata soddisfazione del paziente. La conoscenza adeguata della procedura e dei parametri laser sono essenziali per risultati predicibili in assenza di complicanze nell’ottica di una chirurgia orale moderna, innovativa e al servizio del paziente.
Bibliografia
1. Regezi JA, Sciubba JJ, Jordan RC. Oral Pathology: Clinical Pathologic Correlations. 7ª edizione, Elsevier, 2016.
2. Convissar RA. Principles and Practice of Laser Dentistry. 2ª edizione, Elsevier, 2015.
3. Ortega-Concepción D, Cano-Durán JA, Peña-Cardelles JF, Paredes-Rodríguez VM, González-Serrano J, López-Quiles J. The application of diode laser in the treatment of oral soft tissues lesions. A literature review. J Clin Exp Dent. 2017 Jul 1;9(7):e925-e928. doi: 10.4317/jced.53795. PMID: 28828162; PMCID: PMC5549593.
4. Sufiawati I, Siregar FD, Wahyuni IS, Syamsudin E: Evaluation of diode laser efficacy in treating benign oral soft tissue masses: a case series. Int J Surg Case Rep. 2024, 114:109075. 10.1016/j.ijscr.2023.109075
l XVI Congresso Nazionale AIOLA, che verrà ospitato nella prestigiosa sede dell’Università degli Studi di Bari, assume un valore simbolico molto importante per l’associazione: verranno celebrati infatti i 25 anni dalla fondazione di AIOLA, un traguardo che testimonia l’impegno costante nella diffusione della cultura laser in ambito odontoiatrico. Un lungo percorso che, grazie alle collaborazioni instaurate con numerose Università, Associazioni scientifiche e Aziende, ha consentito di dimostrare che la laserterapia è un’opportunità clinica, economica ed un ausilio da utilizzare nella pratica quotidiana. L’immagine scelta per rappresentare il congresso si inserisce perfettamente nel contesto, raffigurando due figure emblematiche: Ippocrate, considerato il padre della medicina, e Theodore Maiman, inventore del primo dispositivo laser.
Il Congresso sarà un’occasione di aggiornamento e confronto per Medici Odontoiatri, Chirurghi Orali, Maxillo-Facciali, Igienisti Dentali, Medici Estetici e tutti i professionisti interessati all’evoluzione dell’odontoiatria laser-assistita. Si rivolge sia agli utilizzatori esperti che ai neofiti ed è pensato per offrire contenuti concreti, innovativi e applicabili nella pratica quotidiana.
Gli autorevoli relatori ripercorreranno l’evoluzione della laserterapia fino a oggi, illustrando lo stato dell’arte e presentando gli studi che daranno avvio alla ricerca dei prossimi cinque anni. Sono previste delle Lectio Magistralis sugli argomenti più importanti e discussi della laserterapia in Odontoiatria Generale dell’adulto e del bambino, Chirurgia Orale, Igiene Dentale ed Estetica del Viso, ed anche relazioni di docenti italiani e stranieri che condivideranno la loro esperienza sulle diverse applicazioni laser alla luce delle più recenti novità scientifiche e tecnologiche.
Verrà inoltre lasciato uno spazio alla presentazione di casi clinici e ricerche scientifiche della sessione poster selezionate dalla commissione scientifica.
Il venerdì mattina sono previsti diversi workshop dedicati alle diverse applicazioni laser di competenza dell’Odontoiatra con un risvolto essenzialmente pratico con dimostrazioni in ambito odontoiatrico, di medicina estetica e di filosofia del volto.
Vi aspettiamo a Bari per condividere insieme un’esperienza formativa, scientifica di grande valore e festeggiare i nostri 25 anni.
Pagina Web dello Studio gestita da Horizon
Horizon genera una Pagina Web personale per ogni Studio con i contatti, posizione, orari studio, social, prenotazione via email, che integrandosi alla messaggistica Whtsapp/Sms diventa un efficace strumento marketing
Inquadra il QR Code per vedere un esempio
Il Greater New York Dental Meeting (GNYDM) continua con orgoglio la sua tradizione come il principale evento odontoiatrico negli Stati Uniti, costruendo su oltre un secolo di traguardi rivoluzionari. Anche quest’anno, il GNYDM si conferma la destinazione imprescindibile per i professionisti del settore dentale in cerca di opportunità formative senza pari, tecnologie all’avanguardia e occasioni di networking di grande valore. Unisciti a migliaia di colleghi da tutto il mondo nel cuore pulsante di New York City per un evento ricco di energia e programmi innovativi. Il GNYDM offre una piattaforma dinamica e completa, pensata per elevare la tua pratica professionale e metterti in contatto con l’avanguardia del settore odontoiatrico.
Una Celebrazione Vibrante dell’Odontoiatria
Il GNYDM non è solo un incontro, ma una vera e propria celebrazione dell’arte e della scienza dentale. Immergiti in un’atmosfera carica di entusiasmo, dove potrai confrontarti con i colleghi, scoprire le ultime novità e riscoprire la passione per la tua professione. Oltre all’ampia offerta formativa e all’affollata area espositiva, il GNYDM propone anche momenti di intrattenimento coinvolgenti, per un’esperienza davvero memorabile. Formazione all’Avanguardia e Networking Senza Confronti
Preparati a essere ispirato e informato grazie a un programma educativo di livello mondiale. Il GNYDM propone costantemente un’offerta formativa ampia e diversificata con oltre 245 seminari, workshop pratici e sessioni scientifiche con poster, accuratamente selezionati per trattare gli argomenti più attuali e innovativi nel campo dell’odontoiatria. Dalle applicazioni cliniche pratiche alle ultime scoperte della ricerca, ogni sessione è pensata per arricchire le tue competenze e avere un impatto diretto sulla tua attività quotidiana. Accedi a un’area espositiva vastissima, un vero e proprio polo dinamico dove scoprire le tecnologie, i prodotti e i servizi più innovativi offerti da oltre 1.000 aziende leader del settore. Questa opportunità unica ti consente di esplorare soluzioni all’avanguardia, confrontarti direttamente con esperti del settore e prendere decisioni informate per migliorare l’efficienza della tua pratica e l’esperienza dei tuoi pazienti.
Il GNYDM riconosce anche l’importanza fondamentale del networking nella
comunità odontoiatrica. Connettiti con colleghi, mentori e leader del settore provenienti da tutto il mondo, creando collaborazioni e relazioni che possono plasmare il tuo percorso professionale. Lo scambio di idee e di esperienze al GNYDM è inestimabile e offre nuove prospettive e opportunità di crescita.
Un Centro Dedicato alle Specializzazioni Odontoiatriche Consapevole delle esigenze diversificate dei professionisti del settore, il GNYDM ospita una serie di incontri dedicati a varie specialità. Questi eventi tematici attraggono i migliori clinici e ricercatori nei rispettivi ambiti, offrendo formazione e networking mirati. Quest’anno il GNYDM presenta:
• World Implant EXPO : Scopri le ultime innovazioni e tecniche nell’implantologia.
• Global Orthodontic Conference : Approfondisci approcci innovativi nei trattamenti ortodontici.
• Pediatric Dentistry Summit : Concentrati sugli aspetti unici dell’assistenza ai pazienti pediatrici.
• Sleep Apnea Symposium : Approfondisci il crescente campo della medicina del sonno odontoiatrica.
• 3D Printing & Digital Dentistry Conference : Sfrutta la potenza trasformativa delle tecnologie digitali.
• Public Health Symposium : Affronta le problematiche cruciali della salute dentale pubblica.
• Special Care Dentistry Forum : Formazione specifica per la cura di pazienti con esigenze speciali.
• Women Dentists Leadership Conference : Sostieni e collega le donne nel mondo odontoiatrico.
• GNYDM Lab Symposium : Esplora le ultime innovazioni e tecniche nel settore dei laboratori odontotecnici.
Abbracciare il Futuro dell’Odontoiatria
Guardando al futuro, il Greater New York Dental Meeting resta fermamente impegnato a offrire opportunità formative innovative e di alta qualità ai professionisti del settore. Collaboriamo attivamente con università odontoiatriche, organizzazioni e gruppi per sviluppare nuovi programmi capaci di affrontare l’evoluzione del panorama odontoiatrico.
Continuando a superare i confini della formazione, a promuovere un networking eccezionale e ad accogliere gli ultimi progressi del settore, il GNYDM è destinato a rimanere l’evento di riferimento per l’intera comunità odontoiatrica ancora per molti anni.
Unisciti a noi al Greater New York Dental Meeting di quest’anno e vivi l’eccellenza odontoiatrica!
Scopri le innovazioni più recenti, amplia le tue conoscenze e connettiti con la comunità odontoiatrica globale. Il tuo percorso verso la crescita professionale e il successo inizia qui!
info@gnydm.com | www.gnydm.com
Sdt Alberto Battistelli
Se questo quesito fosse posto a me, la mia risposta sarebbe certamente: sì! Ma credo che, in generale, tutti risponderebbero il contrario.
Ovviamente ciò non può accadere né con le lezioni di anatomia dentale classicamente offerte dalle università, né con i classici corsi privati, che hanno l’handicap di non sapere nulla su come si progetta una forma "dal di dentro", né su quali siano le codifiche anatomo-funzionali già inscritte dalla natura nel progetto del dente umano normale.
A ciò si aggiunge che la didattica, e la durata di una formazione seria, devono avere le stesse caratteristiche che un conservatorio di musica prevede per chi voglia approcciare professionalmente allo strumento, manuale o digitale che sia.
Non si diventa musicisti andando a un concerto, allo stesso modo non si impara a modellare con un corso di due giorni. Non lo dico solo perché a questo argomento viene dato poco spazio, ma anche perché, quando le lezioni ci sono, sono sbagliate. Sì, sbagliate, senza se e senza ma!
Ho studiato i denti umani per oltre 30 anni con strumenti di misura e ho pubblicato moltissimo sul tema. Insegno a dentisti e odontotecnici come riprodurre l’anatomia umana naturale da 25 anni, con una didattica unica, centrata su semplici numeri e geometrie essenziali (AFG), e per questo sostengo che i metodi finora usati siano errati o obsoleti.
Cerco di spiegarmi meglio: le vecchie scuole, che ancora dominano negli istituti e nelle università, basano la ricerca della forma sui movimenti delle ATM, ottenendo così forme assurde, innaturali, meccaniche — ma soprattutto inventate, o peggio, “d’autore”.
I denti sono geneticamente programmati: nascono con una forma definitiva nella zona della corona, quando delle articolazioni, ecc., ci sono solo abbozzi “ectoplasmatici”. Le relazioni con le strutture ossee dipendono dalla posizione dei denti, non dalla loro forma
Un dentista ha prima di tutto bisogno di affinare la coordinazione cervello-mano. Questo richiede un esercizio serio, basato su criteri chiari, come solo piccoli numeri e semplici geometrie sanno dare. Solo successivamente, dopo aver programmato (o riprogrammato) i circuiti cerebrali, si potrà accedere ai materiali ricostruttivi, come i compositi. E non fa alcuna differenza se si opera in campo analogico o digitale.
AFG (Anatomic Functional Geometry), da me ideata e pubblicata in 13 lingue, ha studiato non solo i codici segreti dell’anatomia umana — normale e individuale — ma ha anche messo a punto una sequenza di gesti coordinati e sequenziali con cui il dentista pensa un dente umano, e con cui può guidare le sue mani sia nella fase ricostruttiva sia in quella di rifinitura.
AFG consente al medico anche di spiegare il dente al paziente, trasformandolo in simboli comprensibili anche a una persona con istruzione elementare. Può quindi generare un marketing centrato sul dente, invece che sulla location o sulla tecnologia, risparmiando montagne di soldi!
Attraverso questo sistema di gestione della forma, cambierà anche la gestione manageriale dello studio, con un guadagno enorme in termini di autorevolezza professionale — e finalmente anche economica. Sembra impossibile, ma con AFG ciò diventa realtà dopo un serio periodo di formazione. I numeri nei denti, così, faranno tornare anche i conti.
Ultimo ma non meno importante: un controllo inequivocabile sul lavoro del laboratorio, affinché si riduca lo scempio della consegna di “capsulame” che ogni giorno finisce nella bocca di ignari pazienti. Da ciò deriva anche una riduzione drastica delle incomprensioni e dei rifacimenti, sconfinando addirittura in una migliore tutela legale.
Da una nostra analisi, quasi il 99% delle bocche in cui è intervenuto l’uomo presenta forme assurde e piatte dei denti protesici, o, nel migliore dei casi, forme che non hanno nulla a che fare con i denti residui. Alle classiche scuole si aggiungono poi quelle del cosiddetto “dente protesico”, secondo le quali si possono collocare le componenti interne del dente a piacere, senza alcun rispetto per le regole dettate dalla natura.
Secondo queste “pseudologiche”, il dente funziona solo quando svincola, e non quando deve sminuzzare un’insalata! Non ci si chiede nemmeno dove finisca il bolo alimentare, o se la persona sia costretta a fare movimenti innaturali con labbra e guance per evitare che il cibo fuoriesca dalla bocca.
Per fortuna, la natura esiste, ha le sue regole — e AFG le conosce bene!
n’occasione preziosa per ritrovarsi, soci, amici e simpatizzanti AIO, in un contesto di prestigio, nel cuore della ricerca e nella Città Eterna, per condividere la più importante esperienza culturale e associativa di questo 2025. Questo è il 32° Congresso Nazionale di AIO-Associazione Italiana Odontoiatri, che si terrà il 24 e 25 ottobre 2025 al Dipartimento di Scienze Odontostomatologiche e Maxillo Facciali di Sapienza Università a Roma.
Le due giornate di lavori di cui alleghiamo il programma, mettono insieme tre eventi di formazione preziosi, di cui uno riservato agli studenti di Odontoiatria. Dopo la cerimonia di inaugurazione, venerdì 24 ottobre il 32° Congresso Nazionale parte con il 5° Congresso AIO Academy che valorizza il contributo di giovani relatori Soci AIO provenienti da tutta Italia e già in possesso di importanti competenze su un ampio ventaglio di discipline.
Sabato si dipana invece il programma scientifico del Congresso Nazionale, che offre contributi di Docenti universitari e protagonisti dell’Odontoiatria.
Infine, la 3 a Competizione AIO Academy Studenti AISO, originale quiz a squadre –una per ateneo– dedicato agli allievi degli ultimi anni del Corso di Studi.
Dott. Gerhard Konrad Seeberger Presidente del Congresso
Dott. Vincenzo Musella Segretario Culturale Nazionale AIO
INFORMAZIONI
Sede : Aula Capozzi | Dipartimento di Scienze Odontostomatologiche e Maxillo-Facciali - Sapienza Università di Roma | Via Caserta, 6 Iscrizione: Il Congresso, gratuito, è aperto ai Soci AIO. Per iscriversi ad AIO, consultare il sito al link www.aio.it/iscrizione-aio/ Per iscriversi al Congresso è necessario compilare il form online presente nella piattaforma DeskOnline ( https://odonto.deskonline.info/login ) dal 7 luglio ed entro e non oltre il 15 ottobre. Prima di iscriversi al Congresso, sarà necessario registrarsi alla piattaforma. Tutti coloro i quali sono già utenti di DeskOnline, troveranno in automatico fra le prossime attività il form per iscriversi al nuovo evento.
Accreditamento ECM: Il Congresso sarà accreditato ECM.
Provider ECM: Associazione Italiana Odontoiatri | segreteriaecm@aio.it
Cena sociale: La cena sociale, per tutti i partecipanti, è prevista venerdì 24 ottobre, alle ore 20.30. Sarà necessario fare richiesta di adesione entro il 15 ottobre 2025 cliccando l’apposito bottone presente nel form del Congresso, una volta fatta l’iscrizione. Dopo tale data, sarà possibile acquistare la cena solo in sede congressuale, previa disponibilità di posti, ad un costo maggiorato. La richiesta di partecipazione è vincolante se non disdetta entro il 17 ottobre 2025. La cena non è cedibile a terzi. Attestato di partecipazione: I partecipanti regolarmente iscritti avranno diritto all’attestato semplice di partecipazione che sarà caricato, entro 7 gg dal termine del congresso, nell’area personale della piattaforma di iscrizione DeskOnline.
Si avvicina l’appuntamento con la prima fiera in Italia interamente dedicata alle tecnologie e soluzioni per il laboratorio e l’analisi, in programma a Parma il 28 e 29 ottobre prossimi, in contemporanea a Cibus Tec Forum, la mostra-convegno dedicata all’innovazione tecnologica per il food & beverage.
Organizzata da Koeln Parma Exhibitions, joint venture tra Koelnmesse GmbH e Fiere di Parma S.p.A., Labotec nasce come risposta concreta all’esigenza di un evento verticale e specialistico, capace di offrire una visione integrata e trasversale sull’innovazione tecnologica al servizio della ricerca, dell’industria e della sanità.
Con oltre 100 aziende e brand già confermati, Labotec 2025 si propone come un punto di riferimento di respiro nazionale e grande caratura tecnica per i professionisti attivi nei settori dell’analisi, della ricerca e del laboratorio. Aziende alimentari, chimiche, farmaceutiche, cosmetiche e life sciences, insieme a laboratori di analisi, centri di ricerca e strutture sanitarie che, visitando Labotec, troveranno le soluzioni più all’avanguardia che coprono l’intero ciclo analitico: dalla preparazione del campione alla misurazione, dall’automazione alla gestione dei dati, fino agli aspetti legati a sicurezza, sostenibilità e digitalizzazione dei processi.
Continua la lettura: https://www.infomedixodontoiatria.it/articoli/articolo/3669_debutta_labotec_2025_il_laboratorio_del_futuro_va_in_scena_a_parma.html
Il West Nile è un virus trasmesso principalmente dalle zanzare del genere Culex, molto diffuse anche in Italia. A differenza di altri insetti, queste zanzare pungono prevalentemente di sera e di notte, e si annidano in ambienti umidi o dove c’è ristagno d’acqua. Il virus non si trasmette da persona a persona, ma solo attraverso la puntura della zanzara infetta.
Scoperto per la prima volta nel 1937 in Uganda, oggi torna a far parlare di sé in Italia: l’estate 2025 ha già registrato un aumento dei casi, con focolai localizzati soprattutto nelle aree rurali e periurbane. Il Ministero della Salute ha attivato la sorveglianza nazionale, mentre molti comuni stanno intensificando le campagne di disinfestazione.
Sebbene nella maggior parte dei casi il decorso sia benigno, è importante mantenere alta l’attenzione – soprattutto per le persone più fragili.
I sintomi da conoscere
La buona notizia? Nella stragrande maggioranza dei casi (circa l’80%) il virus non provoca sintomi evidenti. Tuttavia, nel restante 20% si manifesta una sindrome febbrile, detta febbre West Nile, caratterizzata da sintomi sistemici simil-influenzali tra cui febbre moderata o elevata, malessere generale e stanchezza, dolori muscolari e articolari nausea, mal di testa e, in alcuni casi, rash cutaneo su tronco e arti.
I sintomi compaiono di solito entro 2-14 giorni dopo la puntura. Nei soggetti sani, la sintomatologia regredisce spontaneamente nell’arco di pochi giorni. Tuttavia, in una piccola percentuale di casi (meno dell’1%) soprattutto in individui immunocompromessi o anziani, il virus può evolvere verso forme più gravi, come meningoencefalite, con sintomi neurologici quali torpore, rigidità nucale, tremori, disturbi dell’equilibrio e, nei casi più critici, coma.
Come riconoscere la puntura?
Questa è la domanda che tutti si fanno. E purtroppo, non è possibile riconoscere a occhio nudo una puntura di zanzara infetta: si presenta come una qualsiasi altra puntura, con gonfiore e prurito. Ecco perché è fondamentale ascoltare il proprio corpo e tenere monitorati eventuali sintomi sospetti nei giorni successivi. Se dopo una puntura compaiono febbre persistente, mal di testa intenso o sintomi gastrointestinali, è bene rivolgersi al medico. Esami del sangue specifici possono confermare o escludere l’infezione.
Come proteggersi
Niente panico: la prevenzione si gioca su piccoli gesti quotidiani. E non serve stravolgere la propria estate per essere al sicuro. Bastano accorgimenti semplici, che fanno bene anche all’ambiente:
1. Usa repellenti cutanei, soprattutto nelle ore serali
2. Indossa abiti lunghi e chiari se sei in giardini o aree verdi
3. Installa zanzariere a porte e finestre
4. Elimina ristagni d’acqua (sottovasi, tombini, ciotole)
5. Segui e sostieni le campagne comunali di disinfestazione
La salute parte dall’informazione (e dal buon senso)
Elty, piattaforma che mette a disposizione servizi online pensati per semplificare la gestione della salute, promuove un’informazione chiara, accessibile e senza allarmismi. Perché prendersi cura di sé significa anche sapere quando è il caso di preoccuparsi – e quando no.
Godersi l’estate non deve significare esporsi a rischi evitabili. Informarsi, osservare i segnali del proprio corpo e adottare misure intelligenti è il modo migliore per vivere la bella stagione con leggerezza e consapevolezza.
Continua la lettura: http://bit.ly/4oWda0J