10-bi-an-18

Page 1


УДК 57(075.3) Б63

Рекомендовано Міністерством

і науки України (лист Міністерства

08.08.2018)

Андерсон О. А. та ін. Біологія і екологія: підруч. для 10 кл. закладів загальної середньої освіти: рівень стандарту/О. А. Андерсон, М. А. Вихренко, А. О. Чернінський. – К. : Школяр, 2018. – 216 с. : іл.

ISBN 978-966-1650-57-1.

ISBN 978-966-1650-57-1

УДК 57(075.3)

© Андерсон О. А., Вихренко М. А., Чернінський А. О., 2018 © УВЦ «Школяр», 2018 © УВЦ «Школяр», художнє оформлення, 2018

книжка продовжує серію підручників

«Біологія», вивчення якого ви розпочали

Щоб успішно опанувати навчальний матеріал, ви маєте пригадати раніше набуті знання щодо будови та життєдіяльності основних груп організмів. Адже в цьому навчальному році підручник поведе вас шляхом пізнання властивостей живого. Ви вже знаєте, що підручник – не книжка для читання. Дуже важливо вміти працювати з ним: виокремлювати та запам’ятовувати головне, швидко знаходити потрібну інформацію. А для цього необхідно знати, як побудовано саме цю книжку. Отже, спочатку погортайте сторінки підручника, ознайомтеся з його структурою. Щоб підручником було зручно користуватися, кожен параграф розпочинається на непарній сторінці, а закінчується – на парній. Рисунки, фотографії, схеми, таблиці розміщено в нижній частині тієї самої сторінки, де на них є посилання в тексті параграфа. Там само до них запропоновано завдання – це дасть вам змогу ретельно опрацьовувати частину змісту параграфа відразу під час його вивчення. Ви будете покроково сприймати інформацію, аналізувати її, узагальнювати щойно набуті знання, а значить, краще підготуєтеся

роботи над новим навчальним матеріалом. Орієнтуватися в змісті параграфа вам допоможуть позначки, які структурують його за етапами уроку:

раніше

стане вам у пригоді під час підготовки до державної підсумкової атестації та складання зовнішнього незалежного оцінювання. Завдання з відкритою відповіддю спонукатимуть до роздумів над складними або проблемними питаннями.

Є в підручнику й додаткова інформація. Сподіваємося, вона буде для вас справді цікавою. Водночас пам’ятайте, що сучасна біологія – захоплива, але дуже складна, багатогранна наука. І шкільний підручник – лише своєрідний дороговказ у світі знань про неї. А факти, закони, гіпотези й теорії надто численні, щоб умістити їх на сторінках підручника. Тож радимо вам користуватися додатковою літературою та інтернет-ресурсами – джерелами, які дадуть вам змогу розширювати межі відомого, поповнювати скарбницю власних знань, знаходити відповіді на найрізноманітніші та найскладніші запитання. Зичимо успіхів в опануванні основ біологічної науки! Автори

Що таке біологія?

Які вирізняють рівні організації

магали вижити. Уже в Стародавньому

значні математичні знання,

науку трактувати

вважати, що природознавство

давній Греції. Людина сприймала навколишній світ як єдине ціле, тому природничі науки формувалися як усеосяжні наукові дисципліни. Учений того часу часто досліджував різні природні об’єкти, процеси, явища. Наприклад, Роберт Гук – англійський натураліст, учений-енциклопедист – став відомим завдяки відкритому ним закону пружності (закону Гука). За допомогою сконструйованого ним телескопа він спостерігав за обертаннями Марса та Юпітера. Зазирнув у мікросвіт, створивши один з найдосконаліших на той час мікроскопів (рис. 1). Так були відкриті найменші складові живого, які вчений назвав клітинами (рис. 2).

Рис. 1. Мікроскоп

(1766–1837). ! Біологія (від грец. bios – життя та logos – учення) – це

про живих істот, їхню

життєдіяльності, зв’язки між собою й умовами навколишнього середовища, закономірності поширення земною кулею, походження, історичний розвиток і різноманітність.

Нині біологія є сукупністю наук, що

різних рівнях організації біологічних систем (див. форзац 1). Біологічні системи. Поняття «система»

як сукупність

єдине ціле,

ємодіють із середовищем та між собою (пригадайте, які системи ви

в інших науках

біологічними об’єктами – клітиною, організмом,

взаємопов’язані компоненти, що утворюють єдине ціле. Тому можна стверджувати, що клітина, організм чи екосистема є біологічними системами. ! Біологічна система – сукупність взаємопов’язаних компонентів, що утворюють цілісний біологічний об’єкт, здатний до певною мірою самооновлення, саморегуляції

таючої

органів. На рівні організму відбувається обмін речовин та енергії з навколишнім середовищем, розмноження.

що їх оточує. До кінця XX століття процес диференціації

магає озброєння її

вивчення теперішнього

Фундаментальні

Протягом

няття живого.

Поняття про живе. Живе характеризується

речовин та енергії з навколишнім середовищем, сталістю внутрішнього середовища, розмноженням, ростом, розвитком, подразливістю й адаптацією до умов існування. Жива й нежива природа побудовані з однакових атомів, але співвідношення їх відрізняється, що зумовлено здатністю біологічних систем

тримувати сталість внутрішнього середовища (рис. 5). На молекулярному рівні відмінність між

їнові кислоти зі здатністю до самооновлення, саморегуляції та самовідтворення.

властивості живого, зумовлені вищезазначеними ознаками

(рис. 6).

та реалізація якої

складається з відособлених або обмежених у просторі складових (органел, органів, особин, видів), які

лише за стану рівноваги внутрішнього середовища. Тому

більного розвитку та функціонування

функціональних

сів після їхньої зміни.

центрації йонів

(згадайте роботу натрій-калієвого насосу). Вивчення еволюції тваринного і рослинного світу дає зрозуміти, як усклад-нення будови тіл супроводжувалося вдосконаленням механізмів саморегуля-ції на організмовому рівні. Підтримка гомеостазу

цьому рівні забезпечу-ється координацією діяльності систем органів, які підтримують гомеостаз: травлення, дихання, виділення, кровообігу тощо. Така координація забез-печується нервовими, гуморальними та імунними механізмами (пригадайте приклади саморегуляції з курсу біології людини). Саморегуляція на рівні екосистеми

біологічні системи фактори,

або виходить за межі витривалості.

множення, тобто самовідтворення

організмовому рівні.

є необхідною умовою існування будь-якого біологічного виду, забезпечуючи підтримку або збільшення його чисельності. Відтворення

видів уможливлює існування екосистемного

ної кризи, яка загрожує самому його існуванню.

вибір:

ня стає безпосереднім учасником формування нового екологічного світогляду. Створення економічних і політичних умов

забезпечення екологічно стабільного розвитку можливе лише на основі переорієнтації людської свідомості. Вочевидь, із глобальними

роз’єднано, тому особливого значення набуває природоохоронна робота міжнародних організацій (рис. 9). У 1987 р. Міжнародна комісія ООН з навколишнього середовища і розвитку (МКНСР) під головуванням екс-прем’єра Норвегії Ґ. Г. Брундланд опублікувала звіт «Наше спільне майбутнє», у якому поняття сталого розвитку визначалось як розвиток суспільства, що задовольняє потреби сьогодення, не приносячи при цьому в жертву здатності майбутніх поколінь задовольняти свої потреби. Сталий (збалансований) розвиток

користання ресурсів у такий спосіб,

Рис. 9. Міжнародні організації Всесвітній фонд природи. Емблема

Організація Об’єднаних Націй. Штаб-квартира в Нью-Йорку, США

ООН є центром зосередження природоохоронного співробітництва держав.

Міжнародна

і неживої природи навколишнього середовища, захист

значення має біологічна освіта, яка уможливлює розуміння людиною

значення біологічних досліджень для досягнення глобальних Цілей сталого

також упевнилися, що відкриття в

є

для становлення медицини, сільського

дарства, охорони природи, багатьох галузей промисловості тощо. Медична біологія вивчає будову, процеси життєдіяльності та розвиток організму людини, виникнення порушень і методи їх профілактики й діагностики, пристосованість до умов середовища, географічне

гарантується право вільного доступу до інформації про стан довкілля, про якість харчових продуктів і предметів побуту, а також

тів харчування.

них природничих, технічних, гуманітарних

метою

сільського

Рис. 12. Сучасна біологічна лабораторія

справи, культури.

Демокріт (460–370 рр. до н. е.). Видатний давньогрецький філософ

його

систематику тварин, визначивши

Дайте означення поняття вид. Що таке систематика?

Незаперечним є факт, що систематика – наука про класифікацію організмів – виникла з потреб людини. У найдавніші часи людина, збираючи плоди, полюючи на тварин, вибирала корисні й уникала отруйних,

вих і небезпечних. З розвитком

наступним поколінням,

тематизації організмів і внесок у

як науки шведського природознавця й

Карла Ліннея. Підходи до класифікації організмів він висвітлив у працях «Система природи» та «Види рослин» (рис. 13). Учений увів чітку підпорядкованість між такими систематичними категоріями, як царство – клас – порядок – рід – вид. Основна ж заслуга К. Ліннея – створення бінарної номенклатури й стандартизація та вдосконалення термінології в ботаніці. Але його система не враховувала походження сучасних організмів, тобто

світу є головним завданням сучасної систематики. ! Біологічна систематика –

про різноманіття живо-

13. Титульна сторінка праці К. Ліннея «Система природи»,

Цю книгу вважають основоположним твором наукової біологічної систематики. Перше видання вийшло 1735 року в Лейдені. За життя Ліннея книга витримала тринадцять перевидань у різних країнах (тринадцяте –віденське – 1767 рік). Для сучасної систематики найважливішим є десяте видання, опубліковане в Стокгольмі 1758 року: воно прийняте за початковий

сонів живих істот,

тварин, грибів, рослин, бактерій, а також вірусів. Завдяки біологічній номенклатурі дають однозначні назви об’єктів,

Принципи наукової класифікації

Землі, покладено принципи наукової класифікації живого.

Варто звернути увагу на принцип ієрархічності, згідно

порядку об’єднують у таксони вищого порядку: вид – рід – родина – порядок (ряд) – клас – відділ (тип). У

час загальновизнаною є подвійна (бінарна) номенклатура назв видів,

значено раніше, була запропонована К. Ліннеєм: перше слово

друге – видова (рис. 14). Один

є предметом філогенетичної систематики. Вагомий внесок

порівняльної анатомії

порівняльної ембріології.

Рис. 14. Приклади біологічної систематики тварин і рослин

Царство

Тип

Клас

Ряд

Родина

Рід

Вид

Тварини

Членистоногі

Комахи

Перетинчастокрилі

Енциртиди

Eocencnemus

Eocencnemus vichrenkoi

Царство

Відділ

Клас

Порядок

Родина

Рід

Вид

Рослини

Покритонасінні

Однодольні

Холодкоцвіті

Амарилісові

Нарцис

Нарцис білий (поетичний, звичайний)

ілюстрацій, які називають філогенетичними деревами (рис. 15). Сучасні критерії виду. Як

на) концепція виду.

схрещуються й дають плідне потомство.

В основу визначення виду покладено всебічне вивчення організмів за певними характеристиками – критеріями. До них належать:

• морфологічний (будова організму, тканин, органів, систем органів);

• фізіологічний (процеси життєдіяльності організму);

• генетичний (особини одного

особини навіть близьких видів – відмінні геноми);

• біохімічний (особливості будови

біохімічних реакцій);

• цитологічний (будова клітин);

• географічний (межі ареалу

• екологічний (місце, яке займає вид

взаємодії з іншими видами). Нині описано близько 1,2 млн видів

1. Що вивчає

2.

3.

4.

5.

6.

еволюції

Дайте означення поняття еволюція. Що таке популяція, вид?

пристосованість

ню до умов навколишнього середовища.Ч. Дарвін пише:

метафорично, можна сказати, що

добір щодня, щогодини розслідує по всьому світу найдрібніші

погані, зберігаючи і складаючи добрі, працюючи нечутно, невидимо , <…>

Рис. 17. Праця англійського природознавця

є основою сучасної наукової теорії еволюції. Книга

та ізоляція. Популяційні

нофонді популяції

(популяційними хвилями, дрейфом генів та ізоляцією),

еволюцією. Мікроеволюційні

ізоляції (неможливості

ство) можуть призводити до утворення

до типів ізоляції виокремлюють географічне

видоутворення. Географічне видоутворення відбувається внаслідок географічної ізоляції, коли виникає розрив

видоутворення – спосіб видоутворення, який є результатом появи різних форм екологічної ізоляції. Зазначимо, що видоутворення в такий спосіб відбувається в межах ареалу виду

ганізмів до споживання

Рис. 19. Приклад географічного видоутворення:

а – Конвалія травнева; б – Конвалія закавказька

Вихідний вид декілька мільйонів років тому, у третинний період, був розповсюджений у листяних лісах Євразії.

Рис. 20. Приклад екологічного видоутворення:

а – Шишкар сосновий; б – Шишкар ялиновий

джерел води. Тому в різних видів спостерігається зменшення кількості пальців, захищених роговими копитами, що є пристосуванням до умов існування. Вивчаючи різноманітність організмів на нашій планеті, ви дізналися, що групи організмів, які не пов’язані безпосередніми родинними зв’язками, можуть пристосуватися до існування в однакових умовах – такий еволюційний процес називають конвергенцією (рис. 22). Результатом дії рушійних сил еволюції є відносна пристосованість видів до умов навколишнього середовища. Вона може виявлятися в особливостях забарвлення, форми тіла, поведінки, фізіологічних і біохімічних процесів тощо. Процеси, які спричинюють еволюційні зміни органічної природи, діють постійно, як про це зазначав у своїй праці Ч. Дарвін: « Цікаво дивитися на густо зарослий беріг,

манітними рослинами, з птахами, які співають в кущах, з комахами, які пурхають навколо, з червами, що повзають в сирій землі, і гадати,

ці чудово збудовані форми, які настільки різні

Сучасні науковці вважають, що зображені

види виникли внаслідок дивергенції від спільного предка.

Наведіть можливі аргументи на користь такого погляду.

Сучасні науковці вважають, що структури, які забезпечують здатність до польоту, виникли внаслідок конвергентної еволюції.

Наведіть можливі аргументи на користь такого погляду.

2.

3.

систематичне

нічного пошкодження

клад, вірус папіломи людини та інші

Порівнюючи віруси з організмами, можна виявити як ознаки подібності, так і ознаки відмінності. Віруси мають у своєму складі органічні речовини – нуклеїнові кислоти та білки, здатні до розмноження, успадковування ознак, мінливості та адаптації

якими віруси відрізняються від організмів, такі: відсутність

будови, власної білок-синтезувальної системи та обміну речовин; геном вірусу може

на якій розташовані особливі рецепторні ділянки. Віруси

піноцитозу (вірус

різні системи органів. Наприклад, повітряно-крапельним шляхом через

гани дихання проникають віруси

редаються віруси герпесу, папіломи,

Рис.

уражаючи органи дихання (грип, аденоінфекції), травну (гастроентерити, гепатити) та нервову (поліомієліт, енцефаліти) системи, шкіру та слизові оболонки (кір, герпес, папіломи, вітряна віспа), пригнічують імунні реакції організму (СНІД), призводять до ракових захворювань (рис. 27, 28). Негативний вплив вірусів

ють захворювання свійських тварин та сільськогосподарських рослин. Проте існує і позитивний ефект від існування

Рис.

оболонки дихальних шляхів. Геном утворений вісьма одноланцюговими молекулами РНК.

ВІЛ належить до ретровірусів і вражає здебільшого Т-лімфоцити, загибель яких призводить до зниження імунітету. Геном утворений двома однаковими молекулами одноланцюгової

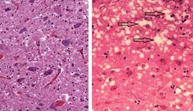
які нині об’єднують у групу трансмісивних енцефалопатій. Пріони. У 1982 році американський біохімік Стенлі Прузінер довів, що так званий «невстановлений трансмісивний агент» є патологічною формою клітинного білка, який запропонував назвати «prion» (від англ. proteinaceous infectious particles — «протеїнові інфекційні частки»). За відкриття пріонів у 1997 році вчений отримав Нобелівську премію.

Пріоновий білок (позначається PrP) у людини кодується геном PRNP, локус якого розташований у короткому плечі хромосоми 20, та в результаті дозрівання містить 208 амінокислотних залишків. У нормальній формі, яка називається клітинною (PrPС), цей білок є компонентом клітинних мембран. Остаточно його роль не з’ясована, але важливо, що найвищу концентрацію він має в нервових клітинах. Патологічна форма пріонового білка (PrPSC) утворюється внаслідок посттрансляційних перетворень і, як правило, характеризується переходом α-спіралей білка в β-складчатість (рис. 29). Уражена патологічною формою цього білка ділянка мозку має характерну губчасту структуру внаслідок руйнування (рис. 30).

Рис. 29. Схеми просторової організації:

а – нормального білка; б – пріонної форми

Рис. 30. Гістологічний

тури,

ваної тварини або людини.

нормальних пріонів у патологічні, тим

свою кількість. Виникнення пріонових захворювань у такий спосіб зумовлене вживанням у їжу м’яса або молока зараженої тварини, використанням інфікованого біологічного матеріалу (препаратів крові, гормональних препаратів, трансплантів, наприклад, рогівки, твердої мозкової оболонки тощо). Захворювання може також розвиватися внаслідок генної мутації або спонтанного виникнення патологічного білка. Отже, пріонові захворювання можуть мати як спадковий, так і інфекційний характер. У людини

енцефалопатія, хвороба Кройтцфельдта-Якоба, куру, синдром Альперса тощо. Віроїди. Назва «віроїд» була запропонована в 1971 р. Теодором Дінером. Віроїди – найменші здатні до розмноження частинки, які відомі у природі. Від вірусів віроїди відрізняються певними ознаками: відсутня білкова оболонка, складаються лише з короткої (246–467 нуклеотидів) одноланцюгової

вої молекули РНК. Молекули

зі виявлено близько 10 різновидів віроїдів, які відрізняються за структурою, хазяїнами, яких вони вражають, симптомами

віроїди, які вражають рослинні організми (рис. 31). Функціонування цих

клітинних форм

Рис. 31. Захворювання,

2.

4.

5.

Що таке клітина?

Які складові клітини?

організми населяють усі середовища

екстремальними умовами (рис. 32).

досягати сотень мільйонів і

бактерій

від 5 до 100 тис. бактеріальних клітин. Багато видів бактерій

ших організмах. Це група одноклітинних

оком (рис. 33).

Найменшими

Рис. 32.

Sulfolobus

Рис. 33.

Thiomargarita namibiensis

грона (стафілококи). Поміж паличкоподібних прокаріотів часто

звивистих – вібріони (у вигляді коми), спірили (у вигляді

ти) і спірохети (у вигляді спіралі

Будова клітини. Прокаріотичні

апарату, цитоплазми та нуклеоїду (рис. 34).

клітини прокаріотів від

структур поверхневого

клітини, які

ту. На поверхні тіла багатьох

забезпечують

структурні елементи, як рибосоми, цитоскелет, плазміди, включення. Рибосоми – це немембранні органели, які забезпечують

турою рибосоми прокаріотів і

прокаріотів мають менші розміри. Цитоскелет виконує багато

значення в забезпеченні їхньої пристосованості до умов існування. Життєдіяльність. Для прокаріотів характерна різноманітність

і способах живлення. Переважна більшість прокаріотів є гетеротрофами, які живляться органічними сполуками

решток (сапротрофи), живих організмів (паразити) або завдяки співіснуванню (симбіотрофи).

генетичною інформацією.

плазматичні місточки

клітинами. Несприятливі умови прокаріоти переживають за допомогою

багатошаровою

впливів, нищівних для звичайних клітин (рис. 38). Спороутворення слугує як для переживання несприятливих умов, так і для розселення бактерій. Спори можуть витримувати високі рівні ультрафіолетового випромінювання, гаммавипромінювання, дезінфікуючих засобів, нагрівання, тиску і висушування, а в деяких випадках – можуть виживати навіть у космічному просторі. Незважаючи на відносну простоту будови, прокаріотичні мікроорганізми є складними саморегулювальними системами. Залежно від умов існування, у них можуть активуватися (або ж навпаки гальмуватися) ті чи інші гени. Унаслідок цього їхні клітини здатні синтезувати ферменти, які

сполуки навколишнього середовища,

ріст, здатність переживати

генетичної мінливості

Рис. 37. Схема розмноження (бінарний поділ клітини)

Рис. 38. Спори бактерій

Geobacillus stearothermophilus,

Яка

Ми ознайомилися із загальними особливостями будови та функціонування прокаріотичних організмів. Дослідження цих організмів

рівні привело до наукових відкриттів, які стали підґрунтям для

ріотів на дві групи: Бактерії (Еубактерії) та Археї (Архебактерії). Бактерії (Еубактерії). Бактерії живуть у ґрунті, воді, повітрі, в інших організмах. Особливості організації зумовлені їхнім пристосуванням до умов, у яких інші організми існувати не можуть. До складу

входить

тосинтезу (фототрофні,

або

або хемосинтетики). Поміж фототрофів особливе місце посідають ціанобактерії, про які вже йшлося. На їхніх поодиноких тилакоїдах, які є впинанням плазматичної мембрани, відбувається процес фотосинтезу

виділенням кисню, чим вони подібні до рослин.

пігментами є хлорофіли і фікобіліни. Особливістю фотосинтезу

і пурпурних сіркобактерій є те, що він відбувається за участю бактеріохлорофілів в анаеробних умовах, коли кисень не виділяється. Хемотрофні бактерії – сіркобактерії, залізобактерії, нітрифікувальні бактерії, використовують для синтезу енергію хімічних реакцій (рис. 40). Поміж бактерій трапляються як аеробні, так і анаеробні види. Багато бактерій (спірили, холерний вібріон) здатно до самостійного руху за допомогою джгутиків – такі організми будуть плавальними. Повзальні бактерії – ціанобактерії, сіркобактерії – можуть пересуватися твердим

стратом за допомогою білкових

типові для більшості відомих

ко

мкм.

трикутні, прямокутні

бливостей залишаються не вивченими.

Рис. 42. Гетеротрофні метаноутворювальні археї

Рис. 43. Екосистема «чорних курців» «Чорні курці» –гідротермальні джерела в рифтових зонах світового океану, температура

протрофні

на неорганічні

обігах. Азотфіксувальні та

творень нітрогеновмісних сполук, сіркобактерії

сполук Сульфуру, залізобактерії окиснюють ферумвмісні речовини.

Використання прокаріотів людиною. Протягом тисяч років сапротрофні бактерії використовуються для виробництва харчових продуктів (рис. 44). Актинобактерії роду Стрептоміцес

никами. Здатність бактерій руйнувати різноманітні органічні сполуки

ристовують у

за індикаторними мікроорганізмами, які

уможливили використання

Рис. 44. Молочнокислі

дукти, у

1.

2.

4.

5.

6.

Рис.

Якими є ознаки живого? Яку

діаметр становить біля 5–20 мкм, натомість у бактерій та архей – 0,5–2 мкм. Серед еукаріотів є одноклітинні та

гриби, клітини яких мають спільний план будови (рис. 46). ! Еукаріоти – це організми, клітини яких містять сформоване ядро та мембранні органели. Еукаріотична клітина має три нерозривно пов’язані складові: поверхневий апарат, цитоплазму та ядро. Поверхневий апарат складається з плазматичної мембрани, надмембранного та підмембранного комплексів. Клітини

(ендоплазматична сітка, комплекс Гольджі, вакуолі, лізосоми, пероксисоми) та двомембранні (мітохондрії,

органели.

в еукаріотів більші, ніж рибосоми прокаріотів,

джгутиків. Багато клітин еукаріотів здатно до фаго- та піноцитозу завдяки відсутності клітинної стінки.

з обміном генетичною інформацією між різними

статевих клітин. Сучасні погляди на систему еукаріотичних

каріотичних організмів за особливостями будови клітини та процесами життєдіяльності вирізняються рослинні, тваринні та грибні

Одноклітинні еукаріотичні організми

їх розглядають як окрему групу. Вони нерідко поєднують ознаки, властиві представникам різних груп (пригадайте

До тваринних відносять багатоклітинні організми

ленням, клітини яких мають

ними за способом живлення, клітини яких

хлоропласти і клітинну стінку, до складу якої входить целюлоза. Гриби

клітини тіла яких не утворюють

рослини переважно виступають продуцентами, тварини – консументами (рідше редуцентами), а гриби – редуцентами (рідше консументами). До групи одноклітинних еукаріотів належать організми, поміж яких є і автотрофи (хламідомонада, хлорела), і гетеротрофи (інфузорії, амеби). Існують організми, спосіб живлення яких може змінюватися залежно від умов існування – міксотрофи.

Рис.

1 – клітинна стінка; 2 – плазматична мембрана; 3 – цитоплазма;

4 – ядро; 5 – мітохондрії; 6 – хлоропласт; 7 – вакуоля.

За сучасними уявленнями одноклітинні еукаріоти об’єднують у

них груп, які мають характерні відмінності (рис. 48). Проте є низка ознак, які є спільними в усіх таких організмів. Особливості будови клітин. Організми цієї групи можуть бути

багатоядерними. У деяких з них (інфузорій, форамініфер) наявні ядра двох типів: – вегетативні, що регулюють процеси обміну речовин, і генеративні, що забезпечують передавання спадкової інформації під час розмноження. Як і в усіх еукаріотів, у цитоплазмі одноклітинних еукаріотів містяться немембранні, дво- та одномембранні органели. Поверхневий апарат клітин цієї групи організмів може бути різним. У деяких зовнішній шар клітини представлений клітинною стінкою, що складається переважно з целюлози та пектину, як у рослин. В інших одноклітинних еукаріотів, як і в грибів, до складу клітинної стінки входить хітин. Є організми, клітина яких вкрита плазматичною мембраною з глікокаліксом. У цьому випадку можливе утворення псевдоподій (амеби). А в інфузорій, наприклад, клітина має постійну форму завдяки наявності щільного підмембранного шару цитоплазми – пелікули. Особливості процесів життєдіяльності. За типом живлення одноклітинні еукаріоти поділяють на автотрофи, гетеротрофи й міксотрофи. Гетеротрофні організми можуть поглинати

тип руху.

приклад, діатомові водорості рухаються за рахунок стікання слизу

клітини в певному напрямку. Способи розмноження одноклітинних еукаріотів є різноманітними, воно може відбуватися як статевим, так і нестатевим шляхом. Деякі (Амеба протей, Евглена зелена) розмножуються мітотичним поділом. У інших (Плазмодій

лярійний) цей процес

називається множинним поділом. Деякі одноклітинні на

–гамети. В інфузорій відбувається специфічний

якої дві клітини обмінюються ядрами. Несприятливі умови деякі одноклітинні еукаріоти здатні переживати у

гляді цисти. У процесі інцистування відбуваються складні перетворення клітини – зникають деякі структури,

(клітини) до або від подразника. Такі реакції

ні виділяють термотаксис

Рис. 49. Хламідомонада

. 50.

рослин, тварин

Плазмодій малярійний, оселяючись в еритроцитах людини, руйнує їх, спричиняючи виникнення захворювання – малярії, а Амеба дизентерійна, паразитуючи в клітинах стінок товстого кишечника людини, спричиняє захворювання травної системи (рис. 51). Джгутикові трипаносоми і лейшманії (переважно тропічні види) спричиняють такі захворювання, як сонна хвороба і лейшманіози. Профілактика захворювань людини, що їх спричиняють паразитичні одноклітинні еукаріоти, передбачає дотримання правил гігієни, термічну обробку їжі, проведення заходів з переривання життєвого циклу паразита.

таких хвороб на людину є настільки істотним, що

рією було відзначено Нобелівською премією (2015, Юю Ту). Одноклітинні діатомові водорості є домінуючим компонентом фітоплактону, а відтак є головним продуцентом морських екосистем. Людина використовує здатність одноклітинних

водойми шляхом поглинання розчинених

водойми киснем, який виділяють

Рис. 51. Одноклітинні еукаріотичні

Малярія – захворювання, назва якого походить від італійського «malaaria» – «погане повітря». У давнину лікарі вважали, що це захворювання спричинюють випарування з боліт, оскільки випадки захворювання на малярію найчастіше трапляються в низинах поблизу водойм. Еритроцити, уражені Плазмодієм малярійним

слизових

до 2 мм, у периферичному шарі яких розміщено до 50 тис. клітин із джгутиками. Ці клітини зрослися своїми бічними стінками одна з одною і з’єднані плазмодесмами – цитоплазматичними містками (рис. 53).

Дуже поширені колоніальні форми

томових. З-поміж гетеротрофних джгутикових та інфузорій також чимало колоніальних форм, існують колоніальні радіолярії. У примітивних колоніях спостерігається рівномірне розміщення клітин у товщі слизу, що їх об’єднує, а в більш високоорганізованих колоніях відбувається певне диференціювання, за якого клітини

справжніх багатоклітинних організмів

Рис. 52. Дріжджі

53. Колонія одноклітинних

1.

2.

4.

5.

Варто згадати, що, окрім одноклітинних

тварини

тварин, відбувалася паралельно, але розглядати їх буде доречно окремо. Особливості будови та життєдіяльності рослин.

бливості, що відрізняють

від клітин інших багатоклітинних еукаріотів. Клітинна стінка

целюлозу. Крохмаль слугує резервною речовиною. У цитоплазмі

них – хлоропласти – містять хлорофіл.

нах відбувається фотосинтез. Тіла більшості рослин сформовані тканинами, що містять клітини різних типів. Виокремлюють кілька типів рослинних тканин (рис. 54). Клітини твірних тканин (меристема) здатні

та

на клітини всіх інших тканин. Покривні тканини (епідерма, корок) захищають інші тканини від негативного впливу зовнішнього середовища й забезпечують зв’язок з ним. Провідні

спеціалізованих

формується насінина, що дозріває відкрито на лусках шишок у голонасінних рослин або захищена стінками плоду в покритонасінних рослин. Запліднення в покритонасінних відбувається всередині органа розмноження – квітки. У життєвому циклі рослин відбувається чергування статевого та нестатевого поколінь. Еволюція рослин. Перші рослини з’явилися та розвивалися у воді. Такі водні автотрофні організми ми називаємо водоростями. Деякі з них – одноклітинні – ми розглянули раніше. Крім них існують багатоклітинні водорості, розміри яких можуть сягати

жить від наявності води, вони набули

яку накопичують у водоносних клітинах. Унаслідок подальшого пристосування до умов

формується провідна тканина, великі пагони, а це збільшує площу поглинання сонячних променів і вуглекислого

всього живого на Землі. Вони відіграють провідну роль у колообігу багатьох хімічних елементів (Фосфору, Карбону тощо) і хімічних сполук (вода,

тощо). Рослини впливають на клімат, формують температурний режим планети. Кисень, що виділяють рослини під час фотосинтезу, використовується для дихання і захищає біосферу від ультрафіолетового проміння (рис. 59). Саме рослини є первинною трофічною

Корисні копалини, наприклад кам’яне та буре вугілля, торф, утворені з рослин. Рослини сприяють утворенню боліт (сфагнові мохи) та беруть участь у

ґрунтів. У житті людини рослини відіграють значущу роль. Харчові культури, наприклад рис, квасолю та капусту, людина вживає в їжу. Такі рослини, як конюшина, тимофіївка, слугують кормом для

нують технічні та лікарські

різноманітністю.

Рис. 58. Життєвий цикл

1.«Значення

2.«Рослини та утворення

3.«Лікарькі

4.«Рослини

5.«Що

1.

2.

3

4.

5.

Вам уже відомо, що тварини належать до еукаріотичних організмів. Особливості будови та життєдіяльності тварин. До тварин належать багатоклітинні організми, клітини яких не мають клітинної стінки. Над плазматичною мембраною розташований глікокалікс. На відміну від рослин, у клітинах тварин запасається не крохмаль, а глікоген. Тваринам властивий гетеротрофний спосіб живлення, більшість з них здатні до активного руху. Поміж тварин є організми, що не мають тканин, наприклад губки. Їхнє тіло сформоване зі стінок і порожнини, заповненої водою.

му організмі виокремлюють чотири типи тканин (рис. 60).

ні тканини складаються

прилягають один до одного. Міжклітинної речовини

тканинах

же немає. Вони утворюють покриви тіла тварин, вистилають порожнини тіла та внутрішніх органів. М’язові тканини складаються з видовжених клітин, які у відповідь на подразнення скорочуються. Нервова тканина, що складається з нейронів та нейроглії, відповідає на дію подразника збудженням. Тканини внутрішнього середовища складаються з клітин і міжклітинної речовини. Властивості

ються саме складом та структурою

ють захисну, транспортну, резервну,

Рис. 60. Тканини тваринного

(епідерміс)

(гладенька)

кісток) і м’язів. Завдяки кровоносній системі транспортуються поживні речовини, продукти обміну, кисень, вуглекислий газ тощо. Ці функції виконують серце й судини – артерії, вени, капіляри (рис. 61). Кисень потрапляє в організм, а вуглекислий газ видаляється з нього завдяки дихальній системі, що складається з повітроносних шляхів і легень. Травна система забезпечує організм поживними речовинами. Вона складається зі шлунково-кишкового тракту й травних залоз. Кінцеві продукти обміну

ендокринна системи забезпечують регуляцію функцій організму.

забезпечує розмноження. Еволюція тварин.

походять від колоніальних джгутикових,

лення. Багатоклітинні

червів порожнини тіла.

формування

ж групою поміж хордових

розвиток та досконала будова нервової системи. Завдяки сталій температурі тіла ссавці й птахи можуть жити в найрізноманітніших умовах. Роль тварин в екосистемах та значення в житті людини. Тварини є складовими ланцюгів живлення, і тому вони беруть участь у підтриманні динамічної рівноваги в природі. До останнього часу вважалось, що всі хижаки завдають шкоди, і їх знищували. На підставі вивчення

Тому певний рівень чисельності

ціонування екосистем. Деякі тварини,

ґрунтові кліщі, беруть участь у ґрунтоутворенні.

підземних і ґрунтових вод. Багато видів

птахи, зокрема

є запилювачами рослин (рис. 63). Поміж комах і ссавців є такі, що сприяють розповсюдженню насіння. Тварини або

є їжею для людини (рис. 64) й сировиною для промисловості. Людина продовжує одомашнювати диких тварин. У багатьох сім’ях живуть тварини – домашні улюбленці.

Рис. 63. Роль тварин в екосистемах Рис. 64. Значення тварин у житті людини

Створіть

1. «Значення тварин у житті людини».

2. «Мої домашні улюбленці».

3.

4.

1. Сформулюйте

2.

5.

ти. Деякі гриби утворюють мікоризу з коренями рослин, тобто є симбіонтами. У цитоплазмі немає клітинного центру. У складі клітинних стінок часто є хітин. Резервною речовиною, як і у тварин, є глікоген, а в процесі метаболізму утворюється сечовина. Для грибів характерний необмежений ріст, що є спільною ознакою

рослинами. Справжніх тканин у грибів немає. У них може бути як статеве, так і нестатеве розмноження. Деякі гриби втратили можливість розмножуватися спорами й перейшли

вегетативного розмноження.

відносять до цієї

(рис. 65) та власне гриби (рис. 66). Еволюція грибів. Учені не виключають, що

дах понад мільйон років. Більшість

Рис. 65.

ність рослин. Плодові тіла шапинкових

ссавців (білки, олені), птахів, комах тощо. Гриби-паразити (трутовики, цвілеві гриби) можуть руйнувати дерева, знищувати врожай. Відомо близько 100 видів їстівних грибів, що містять поживні речовини. Деякі з них (печериці, гливи) штучно вирощують.

Поганка бліда, Гриб чортів можуть викликати смертельні отруєння (рис. 67). Під час збирання грибів необхідно бути особливо обережними, утримуватися від збору старих і

Рис.

Визначення таксономічного

го світу (вид на вибір учителя

Мета: навчитися визначати таксономічне

рини в системі органічного світу.

Матеріали: зображення рослин та тварин.

Перебіг роботи

1.Розгляньте приклад класифікації рослин:

Відділ Покритонасінні

Клас Однодольні

Порядок Лілієцвіті

РодинаЛілійні

Рід Лілія

ВидЛілія лісова

Визначте таксономічне положення виду,

зображеного на рисунку:

Відділ _______________________________

Клас _________________________________

Порядок _____________________________

Родина _______________________________

Рід __________________________________

Вид Цибуля ведмежа

2. Розгляньте приклад класифікації тварин:

Тип Хордові

Клас Ссавці

Ряд Хижі

РодинаКотячі

Рід Барс

ВидБарс сніжний

Визначте таксономічне положення виду,

зображеного на рисунку:

Тип _________________________________

Клас _________________________________

Ряд _________________________________

Родина _______________________________

Рід __________________________________

Вид Ведмідь бурий

Висновок

Проект

Складання характеристики виду

Етапи реалізації проекту

1.Ознайомтеся з літературою та інтернет-ресурсами з наведеного питання.

2.Ознайомтеся з характеристиками видів-двійників Хом’як даурський та Хом’як джунгарський.

3.Складіть характеристику обраного

критеріями.

4. Сформулюйте висновок про значення критеріїв

Видовий критерій

Характеристика видового критерія

МорфологічнийПодібність у будові

та їхніх систем)

ФізіологічнийПодібність у процесах життєдіяльності організмів одного виду

ГенетичнийВідмінність видів за каріотипом (кількістю і формою хромосом)

ГеографічнийПопуляції одного виду займають певну частину біосфери (ареал)

ЕкологічнийОсобини одного виду живуть у подібних екологічних

Приклад видів

Хом’як даурський (барабинський)

У природі живуть близько двох років

Хом’як джунгарський (китайський)

У природі живуть близько одного року

20 хромосом22 хромосоми

Західний та Східний Сибір, Монголія

Живуть у лісі, степу, лісостепу, біля водоймищ

Споживають овес, кукурудзу, пшеницю, комах

Західний Сибір, Середня та Центральна Азія

Живуть у степу, напівпустелі

Споживають овес, кукурудзу, пшеницю, комах

Індивідуальні завдання

Відкриття нових видів в

Прочитайте інформацію, наведену у фрагменті статті.

«Різноманітні ландшафти Індокитаю – від гірських лісів до болотистих низин. Кожного року зоологи та

ботаніки відкривають тут нові для науки види тварин і рослин. Лише у 2008 році тут було описано 63 неві-

домих науці видів хребетних тварин –28 видів риб, 18 видів рептилій, 14 видів амфібій, 2 види ссавців та 1 вид

птахів, а також 100 видів вищих рослин». (Greater Mekong — New species discoveries 2008. WWF 2008).

Завдання 1. Яке з висловлювань підтверджується інформацією,

фрагменті статті.

А пристосованих до

учениця аналізували графік «Відкриття нових видів з 1750 року».

Учень зазначив, що в період з 1750 року було описано більше 1 млн нових видів. Учениця висловила судження про підвищення темпів відкриття нових видів в останні 100 років. Хто має рацію?

А лише учень

Б лише учениця В обоє мають рацію Г обоє помиляються

Індивідуальні

Ознайомтеся з інформацією.

«Ліси України забезпечують потреби суспільства в лісових

ресурсах, але розташовані на території дуже нерівномірно (див. карту). Сформовані понад 30 видами деревних порід, поміж яких домінують сосна, дуб, бук, ялина, береза, вільха, ясен, граб, ялиця. Високий відсоток заповідних лісів (16,1%), який має стійку тенденцію до зростання».

Лісистість областей України (2011 рік)

Завдання 1. Яке з тверджень можна сформулювати на основі аналізу наведеної інформації?

А південна частина території

площі лісів України за переважаючими деревними видами». Учень зазначив, що близько 42%

площі лісів займають хвойні рослини. Учениця висловила судження, що більше 50 % площі лісів займають покритонасінні рослини. Хто має рацію?

А лише учень

Б лише учениця

В обоє мають рацію

Г обоє помиляються

1. Ці форми життя

А віруси

Б віроїди

В віріони

Г пріони

їх.

2. Укажіть захворювання людини, яке спричиняють віруси.

А губчаста енцефалопатія

Б ендемічний зоб

В туберкульоз

Г поліомієліт

3. Укажіть прокаріотичний організм.

А інфузорія-туфелька

Б хламідомонада

В ціанобатерія

Г амеба протей

4. Укажіть поміж зображених гетеротрофний

допомогою війок.

АБВГ

5.

8.

біотиків, гормонів, ферментів. Хто має рацію?

А лише учень Б лише учениця

В обоє мають рацію

Г обоє помиляються

9. Під час лабораторної роботи учні та учениці спостерігали

рухом хламідомонади в напрямку до джерела світла. Така поведінка є виявом

А рефлексу

Б інстинкту

В позитивного таксису

Клітина

1 ядро

1 торфу

залізної руди

із тварин і рослин, стало предметом органічної хімії

криттям першого ферменту діастази

Паєном

Труднощі, пов’язані з виділенням ферментів із тканин і клітин,

думку про неможливість вивчення клітинних ферментів поза живими істотами. Проте 1896 р. можливість спостерігати спиртове

зумів експериментально спостерігати цей процес. Сам термін

організації шляхом самооновлення всіх речовин і

складаються. Є відкриті системи і в неживій природі,

яких

їх існування якісно відрізняється від існування живих систем (рис. 68). Обмін речовин та перетворення енергії. Біологічні системи потребують надходження речовин з навколишнього середовища та їх перетворення. ! Сукупність усіх хімічних перетворень речовин в організмі з моменту надходження їх з навколишнього середовища

необхідна для утворення хімічних зв’язків, і відбуваються реакції

складних речовин із простих, що забезпечують поновлення їхнього хімічного складу – асиміляція (від

Рис. 68. Приклади відкритих систем Амеба

Самородна сірка. Горіння

симіляція (від латинського

гія, яка вивільняється, може накопичуватися в синтезованих молекулах АТФ, перетворюватися на теплову енергію тощо. ! Дисиміляція, або енергетичний обмін, – сукупність реакцій розщеплення й окиснення органічних речовин, що супроводжуються вивільненням енергії.

Взаємозв’язок асиміляції

потенційної енергії

енергетичного обміну молекули

безпечують функціонування

як цілісних біологічних систем, здатних до саморегуляції й самооновлення. Для забезпечення власних

потреб організми

що надходить з навколишнього середовища, акумулюючи її у формі хімічних зв’язків органічних молекул. Автотрофне та гетеротрофне живлення. Організми, здатні синтезувати органічні речовини з неорганічних, називають автотрофами (від грец. autos – сам і trophe – їжа, живлення). Одні з них використовують для цих процесів енергію світла – зелені рослини й деякі прокаріоти (ціанобактерії, зелені та пурпурові бактерії). Пригадайте, що процес утворення органічних речовин з неорганічних за участю світла називають фотосинтезом, а організми, які

фами, або фотосинтетиками. Про особливості фотосинтезу

Рис.

Поміж бурих водоростей, що гниють на узбережжі, на вологому солоному піску, насиченому сірководнем, вирізняються плями різного кольору. Це скупчення прокаріотів: ціанобактерії – зелені, пурпурні бактерії –рожеві, а сіркобактерії –білі плями.

для синтезу органічних сполук. На першому етапі

життєдіяльності). Є організми, яким властивий

сотрофам притаманне автотрофне живлення (речовинами, що утворюються внаслідок фотосинтезу або хемосинтезу) та гетеротрофне (органічними сполуками, що надходять з навколишнього середовища). До

деякі залізобактерії, сіркобактерії, одноклітинні

лини-напівпаразити,

ня тварини є рослинний організм,

тофагів належать

використовують тваринну їжу,

кислоти тваринного

є ферменти, які розщеплюють ці речовини (наприклад, целюлаза), але в хребетних

відсутні, і її засвоєння здійснюється переважно за допомогою симбіотичних одноклітинних організмів. Найвідоміші приклади взаємовигідного співіснування тварин і мікроорганізмів

які живляться соками або виділеннями інших організмів

функції, називають симбіотрофами. Таких організмів багато

Рис. 72. Приклади хижацтва: полювання зграї вовків (а) і крокодилів (б)

Рис. 73. Вівці

відповіді на запитання.

до 16 млн бактерій, 1 млн джгутикових найпростіших і 330 тис. інфузорій. Проаналізуйте способи полювання хижаків

1.Яка стратегія полювання притаманна зображеним тваринам?

2.Які особливості будови є пристосуваннями для такої стратегії?

§11), тварин (плоскі,

членистоногі, молюски), грибів (борошнисто-росяні, трутовики, ріжки, сажки) і навіть квіткових рослин (рис.74 ).

Відмінність паразитизму від хижацтва та інших форм

мів полягає в тому, що фізіологія паразита підпорядкована фізіології хазяїна, його життєвий

нього ресурсів.

Сапрофагія – тип живлення органічними

нізмів

називають детритом, а організми, для яких він є об’єктом живлення, – детритофагами. Відомо

стерв’ятники, ворони, деякі риби. У такий же спосіб

великі безхребетні. Наприклад,

пувати трупи мишей на глибину до 20 см і там годувати ними своїх личинок. Найбільше різноманітних

які завершують розкладання органічних речовин,

Рис. 74.

Рис. 75.

Який

них сполук (жирів, амінокислот тощо). ! Вуглеводи – це органічні сполуки, у яких співвідношення

відповідає формулі (СН2О)n, де n = 3 й більше.

Проте є вуглеводи, у яких це співвідношення дещо інше, а

також атоми Нітрогену, Фосфору чи Сульфуру. До вуглеводів належать моносахариди, олігосахариди й полісахариди.

Моносахариди – вуглеводи, які не розщеплюються на простіші вуглеводи, добре розчинні у воді, мають солодкий смак. Розглянемо будову молекули

ОН- груп. За таких умов утворюється

моносахаридів через атом Оксигену (–О–).

Олігосахариди та полісахариди складаються із залишків моносахаридів. Олігосахариди – полімерні вуглеводи, у яких 2–10 моносахаридних ланок з’єднані ковалентними зв’язками. Наприклад, дисахариди утворені двома залишками моносахаридів (рис. 77). У природі поширені такі дисахариди: звичайний харчовий цукор – сахароза (складається

лочний цукор – лактоза (складається із залишків глюкози й

та

можуть формуватися ланцюжки в сотні й тисячі залишків

залишків глюкози: целюлоза, глікоген і

гетерополімери). Інший

ється

Рис. 77. Схема утворення дисахариду на прикладі сахарози

Рис. 78. Будова молекули сахарози. Масштабна модель

стінки

мастила – вони входять

оболонок.

кули

джень. Подібними

членистоногих, запобігаючи

тіла. Окрему групу

організму тварин є холестерол – складова клітинних

забезпечують регуляторну функцію. Поміж ліпідів є сполуки, що утворені в результаті взаємодії молекул простих ліпідів

належать ліпопротеїди (сполуки ліпідів і білків), гліколіпіди (ліпідів

кислоти). Фосфоліпіди є основою біологічних

Рис. 80. Будова молекули

компонентом їжі людини, міститься в рослинних оліях –соняшниковій, оливковій, конопляній.

2.

3

Часто вони переважають у клітинах і кількісно. Так, у клітинах тварин

становлять 40 – 50 % сухої маси, а в клітинах рослин – 20 – 35 %. ! Білки – високомолекулярні нітрогеновмісні біополімери, мономерами яких є амінокислоти. Будова та властивості амінокислот. Амінокислоти – це органічні речовини, молекули яких містять аміногрупу (–NH2), що виявляє основні властивості, та карбоксильну групу (–СООН) з кислотними властивостями. Ці групи сполучені з тим самим атомом Карбону. Ковалентними зв’язками цей атом Карбону сполучений

ті, яка називається гліцином. У молекулах інших амінокислот

(рис. 82 ).

відомо понад 100 амінокислот, але лише

амінокислотних залишків, розташованих у певному порядку

пептидними зв’язками. Це первинний рівень структурної організації.

У водному середовищі

цюга скручуються й можуть укладатися

Вторинна структура білка стабілізується

стабілізується сильними ковалентними та

взаємодіями або слабкими водневими та гідрофобними. Для виконання своїх

Рис. 83. Схема утворення пептидного зв’язку

цюги. Короткі ж (до 50 амінокислот) мають

пептидами

йонів важких металів, йонізуючого випромінювання

випрямляються

Рис. 84. Рівні

гормони, функціонують сенсорні системи тощо.

функція білків полягає в тому, що деякі сигнальні речовини, а саме гормони (вазопресин, окситоцин, інсулін, тропні гормони гіпофіза) та медіатори (речовини задоволення – ендорфіни) мають білкову (пептидну) природу. Транспортні білки здатні зв’язувати певні речовини та переносити їх: білок еритроцитів гемоглобін потрібен для транспортування кров’ю кисню, мембранні білки-переносники забезпечують проникнення в клітину важливих складових (глюкози, йонів) (рис. 86). Захисна функція білків

речовин, зокрема токсинів, що виробляються хвороботворними організмами, і згубному впливі

та інтерферони. Білок плазми крові фібрин бере участь у зсіданні крові. Отже, існування біологічних систем

(рис. 87)

Рис. 86. Транспортний

плазматичної мембрани

Рис. 87. Життєдіяльність організму залежить від функціонування білків

На молекулярному рівні життя є сукупністю найрізноманітніших хімічних реакцій, що відбуваються в організмах (а часом і за їх межами). Більшість із таких реакцій забезпечують перетворення

природі за нормальних умов. Такі особливості функціонування живого забезпечують спеціалізовані білки або молекули РНК, які називаються ферментами (ензимами).

Функціонування ферментів. Ферменти є біологічними каталізаторами – речовинами, які значно прискорюють швидкість реакцій, не витрачаючись у них. Тобто ферменти взаємодіють зі сполуками, що є субстратом реакції, змінюють їхню структуру, перетворюючи

Рис. 88. Схема дії ферменту Рис. 89. Тривимірна модель будови молекули ферменту, що розщеплює сахарозу на моносахариди

повнюється. Найважливішою

ферменту є частина молекули, що безпосередньо зв’язує субстрат і

Це активний центр (рис. 90).

Функціонування деяких ферментів залежить від наявності додаткових речовин небілкової природи. Сполуки, необхідні для роботи ферментів, називають коферментами. Ними можуть бути, наприклад, похідні вітамінів. Для функціонування деяких ферментів необхідна наявність йонів металів (Цинку, Купруму, Кобальту тощо). Фактори, що впливають на активність ферментів. Рівень активності ферментів може визначатися концентрацією

вони гальмують роботу ферменту: при накопиченні продуктів реакції швид-

речовин припиняється. У такий спосіб регулюється надмірне

є температура: з підвищенням температури на 10 °С ферментативна активність зростає приблизно у 2–3 рази. Проте, як і

білки, ферменти можуть денатурувати, втрачаючи властиву їм природну структуру.

Рис. 90. Тривимірна модель молекули ферменту лізоциму. Активний центр виділено кольором, також можна бачити зв’язану молекулу субстрату Укажіть функцію зображеної речовини. Підготуйте повідомлення про ферменти, які функціонують на рівні організму.

і починає

тивний. Такі зміни можуть

Деякі речовини

до порушення його функціонування. Ферменти й захворювання.

цій в організмі – зчитування спадкової інформації, процеси

речовин, розщеплення проміжних продуктів обміну

утворюється в клітинах як проміжний продукт окиснення. У випадку, якщо той чи інший фермент

ферментів (§ 43). Ферментативні реакції

розщеплення

процеси отримання клітиною енергії, фотосинтезу тощо. Якщо хоча

ферментів каскаду не функціонує, то розвиваються захворювання. Порушення функціонування багатьох ферментів виникає також унаслідок

раціоні вітамінів, незамінних амінокислот,

елементів. Вітаміни здебільшого не утворюються

в харчових продуктах порушується функціонування ферментів, обмін речовин і розвиваються тяжкі

є, наприклад, рахіт, цинга, куряча сліпота

або

циди). Тому

порушення функціонування

Рис. 92. Частина

1.

2.

Ріст і розвиток усіх організмів визначаються й контролюються генетичною програмою. Ви вже знаєте, що спадкова інформація зберігається в структурі молекул ДНК (дезоксирибонуклеїнової кислоти). Інші

в біосинтезі білка та його регуляції. Обидва зазначені типи молекул належать до нуклеїнових кислот. ! Нуклеїнові кислоти – біополімери, мономерами яких є нуклеотиди. Нуклеотиди – це органічні речовини, що складаються з трьох хімічних компонентів, сполучених ковалентними зв’язками: моносахариду (пентози), ортофосфатної кислоти та нітрогеновмісної основи – речовини з циклічною будовою молекули. Різноманітність нуклеотидів. Усі нуклеотиди містять однакові залишки ортофосфатної кислоти, а різняться вони

нітрогеновмісними основами. Моносахаридами, що входять до складу нуклеотидів, можуть

рюють молекули РНК, з

Нітрогеновмісні

які можуть входити до складу нуклеотидів,

Рис. 93. Будова молекули нуклеотиду (залишок моносахариду позначено синім кольором, залишок ортофосфатної кислоти – жовтим, залишок нітрогеновмісної основи –зеленим)

молекулу розгорнути, її довжина становитиме

Послідовність

писано інформацію

«працює», ми розглянемо згодом, а тепер визначимо особливості будови

ся місцем розташування в

структурою та функціями в біосинтезі білка. Інформаційна, або матрична, РНК (іРНК,

мРНК)

спадкову інформацію від ДНК до

синтезу поліпептидного ланцюга. Транспортна РНК (тРНК), що поміж усіх

розміри (складається з 70–90 нуклеотидів), транспортує амінокислоти до місця синтезу білкових молекул. Рибосомна РНК (рРНК) входить до складу особливих органел клітини – рибосом, які забезпечують синтез білкової молекули. Бувають

там же синтезуються молекули РНК. Далі РНК транспортуються

порівняльну таблицю

(табл. 1).

Інші функції нуклеотидів. АТФ. Деякі нуклеотиди

кислот, а мають додаткові, самостійні функції. Найголовнішим

(А) Аденіловий

(Г) Гуаніловий (Т) Тимідиловий (Ц) Цитидиловий

(А) Аденіловий (Г) Гуаніловий (У) Урациловий (Ц) Цитидиловий Речовини,

Рівняння такої реакції:

АТФ + H2O → АДФ +H3PO4 + Е (50 кДж/моль), де АДФ – аденозиндифосфатна кислота; Е – енергія, що виділяється.

Утворена АДФ може далі розщеплюватися до аденозинмонофосфатної кислоти (АМФ), але під час цієї реакції вивільняється менше енергії (~33–42 кДж/моль). АМФ є звичайним РНК-нуклеотидом, що не зберігає великої кількості енергії. ! АТФ – це молекула, що є універсальним внутрішньоклітинним переносником енергії. Молекули АТФ можуть утворюватися

нікотинамідаденіндинуклеотидфосфат (НАДФ) (назви наведено

Що таке ферменти? Які ви знаєте вітаміни?

що одноманітне харчування

рофтальмічний (рис. 96)

Позначення літерою

Хімічна назваФізіологічна

Жиророзчинні вітаміни

AРетинолАнтиксерофтальмічний1,5-2

DКальциферолАнтирахітичний0,02

EТокоферолАнтиоксидантний20-40

KФілохінонАнтигеморагічний1-2

Водорозчинні вітаміни B1

(рис. 97). Інколи в рослинних клітинах виробляються їхні попередники – провітаміни, які перетворюються у вітаміни в організмі. Крім того, деякі вітаміни, зокрема K і H, синтезуються кишковою мікрофлорою, а вітамін D утворюється в шкірі під впливом ультрафіолетового випромінювання.

Біологічна роль вітамінів. Біологічна роль вітамінів у різних

мах подібна, але особливу увагу

людини.

Сучасні дослідження свідчать про

сах життєдіяльності організму. Більшість

попередниками, наприклад вітаміни групи B,

своювати життєво необхідні органічні речовини, що містяться в їжі (значення коферментів ми розглядали в § 19). Вітаміни

гормонів – біологічно активних сполук, які регулюють різні етапи обміну речовин в організмі. Наприклад, вітамін D бере участь

утворенні

гормонів (статевих гормонів, кортикостероїдів). Деякі вітаміни, зокрема А, Рис. 97. Вітаміни в харчових продуктах

Назва вітамінуХарчовий продукт

B1 (тіамін)Нежирне м’ясо, зернові, бобові, риба, печінка, яйця, зелень, чорний хліб

B6 (піридоксин)Зернові, овочі, м’ясо, риба, банани, картопля, помідори, шпинат

B12 (ціанокобаламін)Печінка, м’ясо, риба, молочні продукти, яйця, морська капуста

C (аскорбінова кислота)Овочі і фрукти, особливо цитрусові, ягоди, полуниці, помідори, молода картопля, зелень

A (ретинол)Вітамін A міститься в риб’ячому жирі, яєчних жовтках, печінці, молоці; провітамін A (β-каротин) – у червоних, помаранчевих, жовтих і темно-зелених овочах

D (кальциферол)Риб’ячий жир, яєчні жовтки,

K (філохінон)Темно-зелені

датності, стійкість людини до

середовища (інфекційних захворювань, дії токсинів). Добова потреба у вітамінах значною мірою

стану організму (при захворюваннях

Організму людини необхідні

факторів

вітамінів. Залежно від ступеня забезпеченості організму якимось вітаміном, розрізняють авітаміноз (відсутність), гіповітаміноз (нестача) та гіпервітаміноз (надлишок). Дефіцит може виникати через неспроможність засвоєння вітамінів клітинами організму. Причинами цього

бути руйнування вітамінів через підвищення кислотності шлунку (вітаміни B1, B5,

виявами спадкових захворювань, які спричинюють порушення всмоктування і транспортування вітамінів, перетворення їх у коферменти тощо. Ми опишемо деякі захворювання людини, що виникають

стачі вітамінів. Бері-бері – хвороба, яка вражає нервову систему людини, призводить до слабкості, втрати апетиту, підвищеної збудливості і паралічу, пов’язана з нестачею вітаміну В1. За відсутності в харчових продуктах

ну С в людини порушується синтез

шується схильність до інфекційних

та). Нестача вітаміну А спричинює захворювання, унаслідок якого

не може бачити в умовах недостатньої

хвороба

1.Вітаміни (особливо В1, С) руйнуються

внаслідок надто тривалої термічної

обробки або надто високої температури.

2.Ферменти розщеплення вітамінів малоактивні за низьких температур.

3.Поміж вітамінів багато водорозчинних.

4.Вітаміни В2, В6, В12, С, А швидко руйнуються внаслідок впливу світла.

5.Вітаміни А, Е, С легко окиснюються.

А Зберігати в непрозорих контейнерах. Б Овочі та фрукти нарізати не дрібно, зберігати недовго. Поміщати в закриті контейнери або обгортати плівкою.

В Зберігати охолодженими.

Г Мити овочі та фрукти краще до нарізання.

Д Варити овочі рекомендується в

невеликій кількості води, і поміщати їх туди після того, як вода закипить. Корисно вживати свіжими.

1.

Метаболізм будь-якої біологічної системи зумовлений процесами, які відбуваються в клітині. Тому дослідження будови та життєдіяльності клітини мають першочергове значення для розуміння обміну речовин

організації

ні та немембранні органели клітини. Функції плазматичної мембрани. Плазматична мембрана, оточуючи кожну клітину, відділяє її вміст від позаклітинного простору. Особливості будови плазматичної мембрани (плазмолеми) зумовлюють її відповідні функції: бар’єрну, транспортну, контактну, рецепторну та ферментативну (рис. 100).

Будова мембрани унеможливлює дифузію крізь неї полярних молекул, зокрема йонів. Тож плазматична мембрана виконує бар’єрну функцію, регулюючи обмін речовин між клітиною й навколишнім середовищем. Проте крізь мембрану має здійснюватися транспортування речовин як усередину клітини, так і назовні. Це необхідно для постачання клітині речовин і виведення продуктів обміну. Розрізняють два типи транспортування речовин: рух речовин, за якого

витрачається енергія АТФ,

енергії, – активним. Пасивне транспортування відбувається

Рис. 100. Плазматична мембрана: а – схема будови; б – мікрофотографія контакту мембран двох клітин

пляння в клітину глюкози.

носників називають

тощо. Процес

го середовища всередину клітини

(поглинання рідких речовин) і фагоцитоз (поглинання

відіграє важливу роль у поглинанні клітинами імунної

у живленні одноклітинних організмів. У багатоклітинних організмів

зв’язані між собою. Такий зв’язок

дві мембрани, формуючи

Рис. 101. Схема роботи натрій-калієвого

насоса

Рис. 102. Схеми процесів екзоцитозу (а) й ендоцитозу (б)

Проаналізуйте схему. Прочитайте твердження. І. Унаслідок роботи Na+-K+-насоса синтезуються молекули АТФ.

Йони Натрію

участь у процесах фотосинтезу,

ділянки, що забезпечує розділення різних процесів обміну речовин у просторі і часі. До одномембранних органел належать ендоплазматична сітка (ЕПС), комплекс Гольджі, лізосоми, пероксисоми та вакуолі. Гладенька ЕПС забезпечує синтез ліпідів, зокрема стероїдних речовин, знешкодження деяких токсичних речовин (в організмі людини активно функціонує в клітинах печінки) та депонування йонів Кальцію. Останнє є важливим для функціонування м’язових клітин. До мембран шорсткої

103, І) з цитоплазматичного боку

немембранні органели – рибосоми (рис. 103, ІІ), які синтезують у порожнину трубочок

молекули. Основною функцією цього типу

(рис. 103, ІІІ) до комплексу Гольджі (рис. 103, ІV).

ціонально поєднаний

творення білкових молекул

глікопротеїнів, ліпопротеїнів тощо) і пакування їх

ня. Білки, що експортуються з клітини (наприклад ферменти або гормони)

Рис. 103. Утворення та транспортування речовин у

У 2013 році Нобелівську премію з фізіології або медицини отримали біохімік Джеймс Ротман, цитолог Ренді Шекман, біохімік і нейробіолог Томас Зюдхоф – «за відкриття системи везикулярного транспорту –основної транспортної системи в наших клітинах».

води. Розщеплення

в травних вакуолях, що формуються

хлоропласти.

тинним

ного кольору, що здійснюють фотосинтез (рис. 105). Безбарвні пластиди –лейкопласти – забезпечують

Організми використовують енергію, яка надходить з навколишнього середовища, акумулюючи її у формі хімічних зв’язків органічних молекул –перетворення енергії взаємопов’язане

синтезу органічних речовин

енергію хімічних реакцій

нічних речовин, отримуючи їх із їжею (§ 16). Взаємозв’язок пластичного та енергетичного обміну

Рис. 106. Процеси метаболізму рослинної клітини Енергетичне

не потребують кисню й називаються анаеробними. Гліколіз є низкою послідовних хімічних перетворень з участю ферментів (див. § 19). У результаті утворюються дві молекули трикарбонової

кислоти, яка називається піровиноградною. Сумарний енергетичний вихід гліколізу становить 2 молекули АТФ на одну молекулу глюкози. Піровиноградна кислота ще містить значну кількість зв’язаної енергії, яку клітини можуть використовувати

синтезу АТФ. Наступні реакції відбуваються в

ції потребують кисню, а тому даний етап називається кисневим

ня біологічних систем. Організм людини також є біологічною

Тому важливим чинником, який

Знання щодо раціонального харчування стануть підґрунтям для збереження

здоров’я власного організму.

Поняття раціонального харчування. Що таке раціональне харчування? Таке запитання повинна ставити перед собою кожна сучасна людина. ! Раціональне харчування (від лат. ratio — розумний) – це повноцінне в кількісному та збалансоване в якісному відношенні харчування, що

печує нормальний

Рис. 108. Міністерство охорони

здоров’я та

ти до щодобового раціону

= 4,18 Дж). Енергетичну

речовин зазвичай вимірюють, розраховуючи, скільки кілоджоулів або кілокалорій припадає на 1 г речовини. Енергетична цінність жирів – 38,9 кДж/г, білків –17,2 кДж/г, вуглеводів –17,2 кДж/г (§17, 18). Можна визначити енергетичну цінність харчового продукту, знаючи його масу та кількісний склад у ньому органічних сполук (рис. 109). Організм людини витрачає енергію (загальний обмін) на забезпечення життєдіяльності в умовах спокою (основний обмін) та на фізичну активність (функціональний обмін). Загальний обмін підлітка зазвичай становить 170–250 кДж на 1 кг маси тіла на добу. Основний

енергії, яку організм

цесів життєдіяльності (роботу печінки, нирок, серця, нервової

142,6 кДж на 1 кг тіла, а в дорослих 100,56 кДж на 1

організм підлітка на функціональний обмін). Рівень функціонального обміну залежить від способу життя (інтенсивність фізичної та розумової діяльності). Енерговитрати залежать також від маси, віку та статі людини (рис. 110).

Рис. 109. Визначення енергетичної цінності продукту

Йогурт 200 г

В 100 г: білків – 3,7 г жирів – 2,5 г вуглеводів – 4,9 г

Обчисліть

Рис. 110. Залежність енерговитрат організму людини (кДж/добу) від віку та статі за активного способу життя

бути рослинного походження. У спрощеному

сніданок –25 % калорійності їжі, другий сніданок – 15 %,

(неорганічні солі,

нітною. Важливе значення має наявність рослинної клітковини (целюлози) –вона, хоч і не перетравлюється нашими ферментами, необхідна для нормальної перистальтики. Для цього в раціоні повинні бути свіжі овочі та фрукти,

Складання схем

1. Ознайомтеся з інформацією. Більшість органічних сполук

вними джерелами енергії в клітині

є вуглеводи й жири. Процес енергетичного обміну, аналогічний розщепленню

час окиснення інших речовин, зокрема жирних кислот та амінокислот. Проте треба пам’ятати, що білки повністю розщеплюються для постачання організму енергії лише в разі нестачі інших енергетичних сполук (див. схему). Речовини однієї хімічної природи можуть перетворюватися на речовини

яка

у метаболізмі. Усі потрібні нашому організму хімічні елементи та значна кількість води є незамінними. За їх дефіциту, який може виникати як за рахунок недостатнього надходження, так і за рахунок проблем із засвоєнням, можуть виникати важкі розлади обміну речовин. Ендемічні захворювання людини. Вчені виокремлюють ендемічні захворювання – захворювання, характерні для певної місцевості, пов’язані з нестачею або надмірним умістом у середовищі якого-небудь хімічного елемента. Наприклад, ендемічний зоб – захворювання, яке характеризується збільшенням щитоподібної залози. Воно виникає в місцевостях, де ґрунт, і відповідно вода, містять мало Йоду. Щитоподібна залоза виробляє гормони –тироксин, трийодтиронін,

вання спричиняє його нестача – йододефіцит. Добова потреба

Рис. 111.

Залізодефіцитні

ваються.

чним умістом Феруму,

сивності процесів обміну

унаслідок чого виконує терморегуляторну функцію. Вода переносить теплоту

нів до холодніших. Добова потреба у воді залежить від маси тіла (рис.113). Недостатнє споживання води призводить до передчасного старіння шкіри, утворення небезпечних тромбів у крові, порушення обміну речовин і теплообміну. Втрата всього 10% води в організмі позначається сильною втомою, нездатністю працювати і навіть серйозними захворюваннями. Якість питної води. Природна вода є розчином

вин

періодичної системи, які є в природі, і навіть метали й важкорозчинні

оскільки вода безпосередньо впливає на стан здоров’я громадян i кардинально визначає ступінь екологічної та епідеміологічної

ВООЗ (Всесвітня організація охорони здоров’я) істотна кількість випадків

температура, прозорість чи каламутність, колір, запах і смак.

Хімічними показниками є кислотність (рН), окиснюваність (показник умісту органічних сполук), жорсткість або мінералізація (показник умісту неорганічних солей), а також концентрації низки хімічних речовин (основні йони, розчинні гази, біогенні речовини, мікроелементи, радіоактиві речовини, специфічні забруднювальні речовини). Слід зауважити, що води, абсолютно вільної від більшості шкідливих хімічних сполук, не існує. Важливо, щоб їх наявність не перевищувала встановленого безпечного максимального рівня –цей показник називається гранично

на більшість шкідливих

центрацій чинить негативний

та здоров’я людини. До біологічних (мікробіологічних) показників належить уміст кишкової палички (колі-індекс), сапрофітних бактерій, а також конкретних видів патогенних бактерій (таких, як холерний вібріон), вірусів і одноклітинних еукаріотичних паразитів, наявність яких може призвести до виникнення інфекційних хвороб

правила й вимоги із забезпечення

4.

Людина

навколишнього середовища. Рослини і тварини були для неї їжею, але

становили небезпеку. Нині антропогенний фактор підвищив ризик небезпечного впливу на живе, зокрема й саму людину, різноманітних отруйних речовин. Токсичні речовини. Ці речовини порушують обмін речовин, знижують імунітет, можуть викликати патологічні зміни певних органів, наприклад нирок, печінки. ! Токсичні речовини – це речовини, які викликають отруєння всього організму людини або впливають на окремі системи організму людини. Вони можуть бути екзогенного походження, зокрема токсини тварин, рослин, грибів (рис. 114), хімічні речовини антропогенного походження – солі важких металів, нафтопродукти, фреони, пестициди, складники миючих засобів, парфумерні вироби, лікарські препарати, харчові добавки тощо (рис. 115). Також на організм можуть діяти токсичні речовини ендогенного походження, які утворюються внаслідок метаболічних процесів в організмі людини, зокрема аміак. Токсичність речовини визначається низкою факторів: здатністю та шляхами проникнення до організму людини, характером

необхідною для викликання

Рис. 114. Приклади тварин і рослин, токсини яких

доза поглинутого іонізувального випромінювання. Велика кількість токсинів є поміж органічних сполук. Наприклад, рослинний алкалоїд колхіцин блокує утворення мікротрубочок і зупиняє

поділ. Тетродотоксин, що міститься

рибі фугу, блокує збудження нервових і м’язових клітин. Деякі

хологічну, а потім і фізіологічну залежність, яку називають наркоманією (рис. 116). Частина токсичних сполук є онкогенними (§51). Знешкодження токсичних сполук

чення для збереження життєдіяльності організму має детоксикаційна функція печінки. Механізми цього процесу

Рис.

формується

стають менш чутливими до наркотичних сполук, тому для досягнення

пам’ятаєте,

ція – здатність підтримувати на сталому рівні склад внутрішнього середовища (гомеостаз) та цілісність

трьома

ним

лозами (рис. 117). Ці речовини виділяються у кров, транспортуються

Рис. 117. Гіпоталамо-гіпофізарна регуляція ендокринних залоз організму

(рилізинг-фактори), які керують роботою гіпофіза. Гіпофізарні тропні гормони (рис. 117), своєю чергою, впливають на функціонування інших ендокринних залоз, чиї гормони регулюють значну кількість процесів організму (табл. 4). Отже, система нейрогуморальної регуляції є складною, багаторівневою та ієрархічною. За поширеністю

гормони можуть бути вузькоспецифічними, тобто впливати

недостатнє утворення інсуліну спричиняє цукровий діабет,

Щитоподібна залоза Тироксин, трийодтиронін

тканин, забезпечуючи ріст організму

Посилюють енергетичний обмін тканин, на клітинному рівні спричинюють збільшення числа мітохондрій

КальцитонінРегулює обмін Кальцію, збільшуючи швидкість утворення кісткової тканини Прищитоподібні залози Паратгормон

Надниркові залози Мінералокортикоїди (альдостерон, кортикостерон)

Регулює обмін Кальцію, зменшуючи його кількість в кістковій тканині

Беруть участь у регуляції водно-сольового балансу у організмі, впливаючи на функціонування нирок

Глюкокортикоїди (кортизон, гідрокортизон) Регулюють

молекулами клітини є АТФ. Органічна сполука АТФ-аза забезпечує

відщеплення від молекули АТФ третього залишку ортофосфатної кислоти. Цей процес супроводжується вивільненням енергії, яку використовує клітина, а тому АТФ-ази задіяні в багатьох клітинних функціях. Зокрема було досліджено, що молекула АТФ є «паливом» для роботи натрій-калієвого насосу клітинних мембран. Тоді перед ученими постало питання: чи не містять мембрани спеціальної АТФ-ази, яка передає натрій-калієвому насосу енергію від АТФ? У 1957 році фермент Na+-K+-АТФ-азу

сом Скоу, за що він отримав Нобелівську

хімії (1997р.). Цікаві

щодо взаємозв’язку цього ферменту з роботою натрій-калієвого насоса

отримані на мембранах

роботу мембранних насосів

синтез

інформації?

2. Учень та учениця

аналізували графік залежності

насичення гемоглобіну киснем

і залежності атмосферного тиску від висоти над рівнем моря.

Учень зазначив, що із збільшенням висоти над рівнем моря насичення гемоглобіну киснем знижується. Учениця висловила

судження, що це відбувається

через зростання атмосферного тиску. Хто має рацію?

А лише учень

Б лише учениця

В обоє мають рацію

Г обоє помиляються

1.

2.

3.

4. Укажіть спосіб

5.

спосіб?

кисню

дифузія вуглекислого

має рацію?

А лише учень

Б лише учениця В обоє мають рацію Г обоє помиляються

9. Прочитайте опис: «Ферменти, які розщеплюють вітаміни, малоактивні за низьких температур

Частина енергії, яка

вивільняється в реакціях, запасається під час утворення

молекул

1 глюкози

В еукаріотичних клітинах пов’язаний

дерланди), Карл Корренс (Німеччина) і Еріх Чермак (Австрія). У 1909 р. данський учений Вільгельм Йогансен увів поняття «ген». Хромосомну теорію спадковості було розроблено в 1910–1915 роках у працях німецького зоолога Августа Вейсмана, американських біологів-генетиків Т. Х. Моргана, А. Штуртеванта, Г. Д. Меллера та інших. У ній стверджується, що передавання ознак і властивостей організму від покоління до покоління (спадковість) здійснюється переважно через хромосоми, у яких містяться гени. У квітні 1953 р. в англійському журналі Nature з’явилася стаття

Вотсона і Френсіса

спадковість

ливим самовідтворення живого.

різноманітність організмів, яка є матеріалом для еволюції, а відтак – для розвитку життя на Землі. У цьому розділі ми розглянемо закономірності передавання ознак

покоління в покоління, які вивчає розділ біології як генетика. Методи генетики. Перші дані щодо успадкування різних ознак,

валися шляхом спонтанного спостереження. Наукові

отримано Г. Менделем, який використав гібридологічний метод

схрещування організмів з різними ознаками та аналіз їхнього потомства (рис. 118). Ми розглянемо його в наступних параграфах. Зрозуміло, що експериментальне схрещування не можна застосувати

механізми

Рис. 118. Принцип гібридологічного методу

Рис. 119. Приклад родоводу (генеалогічного дерева)

хворобами – генетичні маркери (§ 43). Це дає

генів, у тому числі

надавати персоналізовані поради стосовно профілактики або лікування захворювань. Важливу інформацію можна отримати, використовуючи тваринні моделі (рис. 121). Завдяки аналізу структури ДНК учені

людини і тварин. З метою розуміння їхніх функцій можуть

генетика (§ 40), яка

варіантами генів (зокрема мутаціями) та ознаками або захворюваннями. Отже, для розуміння механізмів формування

проводять дослідження на молекулярному, клітинному, організмовому чи

пуляційному рівнях.

Pan troglodytes.

Ви пам’ятаєте, що

лекул

які є

ключові процеси, які забезпечують збереження, реалізацію

вання наступним поколінням

інформації. Усі ядра мають подібну будову, а саме – поверхневий апарат (оболонку) і

середовище (матрикс) (рис. 122). Поверхневий апарат ядра утворюють дві мембрани – зовнішня та внутрішня, між якими є заповнена рідиною щілина. Внутрішній вміст ядра контактує із цитоплазмою крізь отвори великого розміру – ядерні пори. Вони сформовані білками, що контролюють транспортування великих молекул усередину ядра та з нього. Речовини, які проникають усередину ядра, можуть змінити рівень активності генів (§ 39), а тому контроль такого транспортування важливий для регуляції роботи клітини. Головна за функціями частина ядерного вмісту – хроматин (рис. 123), який складається з молекул ДНК, сполучених з білками – гістонами. Гістони, зокрема, захищають ДНК від впливу хімічних

Рис. 122. Будова ядра

123. Структура хроматину

порядку. Такий

тину. Максимально ущільнений

стані. Окрім ядерної ДНК, геном еукаріотичних

дрій і пластид. Порівняно з ядерними хромосомами, їх розміри невеликі: від 15 до 170 тис. пар нуклеотидів, кілька десятків (до 100) генів (порівняйте з розмірами ядерних геномів (див. таблицю 5). Позаядерна

печує частину спадковості, проте її закономірності дещо відмінні, ми розглянемо їх

різні ділянки цих молекул

ознаку (наприклад, кодують фермент, що

визначають

31). Кількість некодувальної ДНК суттєво різниться в різних

регуляторну функцію (§ 39).

кість і довжина молекул

варіювати в представників різних

! Сукупність хромосом,

статевими хромосомами. Нестатеві хромосоми

аутосомами. Хромосоми можуть бути ідентифікованими за допомогою світлової

Вони різняться за довжиною, місцем розташування первинної перетяжки (центромери) та закономірностями чергування світлих і темних смужок (рис. 126). Організми з несумісними наборами хромосом

томство, а відтак учені

всього 37 генів, які кодують власні мітохондріальні ДНК, а також білки, залучені до функціонування

людини складається з 46 хромосом, які формують 23 пари. З них 22 пари є аутосомами, а 23-тя статева: жінки мають дві Х-хромосоми, натомість у чоловіків є одна Х і одна Y. Y-хромосома

ни або формування хромосомних

1. Дайте

3

4.

6.

комплементарно

(Т), а напроти гуанілового (Г) завжди цитидиловий (Ц). Під

ну гомологічними ділянками між парними хромосомами

статеві клітини можуть містити такі комбінації варіантів генів, яких не було в батьків. Процеси, пов’язані з розмноженням, ми розглянемо

темі, а зараз відзначимо головні факти, що стосуються більшості диплоїдних організмів (у тому числі й людини):

•розмноження відбувається за участі статевих клітин (або гамет), які

ють одинарний, гаплоїдний набір хромосом (ДНК, а отже й генів); •розвиток організму наступного покоління починається зі злиття

гамет (запліднення), унаслідок чого відновлюється диплоїдність клітин; •організм наступного

Збереження

важливими

інформація була використана, реалізована

основі генетичної інформації

з ДНК або транскрипція. ! Транскрипція

ДНК як матриці. Етапи транскрипції. В еукаріотичних клітинах

ється в ядрі, де зберігається ДНК, і забезпечується ферментами. Основним ферментом транскрипції є РНК-полімераза, яка «працює» на

(рис.130), першим з яких є зв’язування з промотором гена. Для цього РНКполімераза має бути з’єднаною

– транскрипційними факторами

зв’язуватиметься

впливають на активність генів, що має важливе значення

кодують транскрипційні фактори, є регуляторними. Наступним

Дозрівання

можуть виконувати своїх функцій. В еукаріотів вони зазнають певних змін, які називаються процесингом. Важливим його етапом є сплайсинг (від англ. splice – зрощувати, з’єднувати). Більшість генів еукаріотів містить

вальні ділянки, що «вирізаються» під час зазначеного

називають інтронами, а ті, що залишаються

Отже, сплайсинг

зуміло, що інформацію

можуть утворюватися різні

Уважають, що саме це є причиною описаної мозаїчної (екзонно-інтронної) структури генів. Зрілі молекули РНК експортуються з ядра в цитоплазму, де починають виконувати свої функції.

Рис. 131. Принцип комплементарності під час транскрипції

Рис. 132. Дозрівання молекули РНК. Сплайсинг

Змоделюйте послідовність нуклеотидів

1.

Зеленим кольором позначено інтрони, жовтим – екзони. З одного гена можуть утворитися білки різної будови: два екзони в мРНК, що їх кодує, є спільними, один – відмінний.

Молекули РНК, синтезовані на матриці ДНК, можуть виконувати самостійні функції (тРНК, рРНК), але більшість із них слугує переносником інформації про структуру білків (мРНК). Мономерами нуклеїнових кислот

а білки складаються з амінокислот. Отже, інформація про амінокислотну послідовність білків, тобто їхню первинну структуру, закодована в послідовності нуклеотидів молекул мРНК. Відтак синтез білкової

ся за правилом перетворення «нуклеотидної» інформації на «амінокислотну». Таким правилом є генетичний код

лотних залишків білкових молекул за допомогою послідовності нуклеотидів молекул РНК. Для генетичного коду (рис. 133) характерні певні властивості. 1.Інформація з РНК зчитується порціями з трьох нуклеотидів. Послідовність із трьох нуклеотидів називають триплетом або кодоном. Якщо уявити нуклеотиди як літери (їх є чотири – А, У, Г, Ц), то триплети – це слова, що складаються з цих літер. Триплети кодують 20 амінокислот і три спеціальні стоп-послідовності, що означають закінчення кодованого білка.

2.Інформація зчитується безперервно. Кожен наступний триплет починається відразу за попереднім (рис. 134). Триплети не перекриваються й не накладаються один на одного. Жоден нуклеотид не може водночас бути складовою двох триплетів.

Рис. 133. Таблиця генетичного коду

У таблиці наведено триплети РНК. Визначення певного триплету слід розпочинати від центра таблиці, позначеного цифрою 1. Перший нуклеотид триплета вибираємо з внутрішнього кола, другий –із другого кола, третій – із третього кола. У четвертому колі вказано скорочену назву кодованих амінокислот, стартабо стоп-кодон.

3.Генетичний

4.Генетичний

кодується лише одним триплетом, натомість

Надлишковість надає

лоти, а отже, і структури синтезованого білка

5.Генетичний код є універсальним. Відповідність послідовностей

тів та амінокислот є однаковою в усіх

тинних форм життя (вірусів). Це правило має кілька винятків: дещо змінений генетичний код працює

ших і бактерій. Тим не менше, загалом генетичний код є універсальним правилом кодування структури білків більшістю генів. Утворення білків на основі інформації, що зберігається в молекулах нуклеїнових кислот, є одним із ключових процесів, властивих живим системам (рис. 134). Різноманітність

особливі нуклеотиди, комплементарні до триплета, який кодує транспортовану амінокислоту. Цю послідовність називають антикодоном

що мають певний антикодон, зв’язують

ти, називають

тРНК з метіоніном

розпізнавання кодонів, зв’язування молекул

донами та формування пептидних

завершується, коли рибосома

боти описаного механізму

від одного: наприклад, руде або не руде волосся, чоловіча/жіноча статі,

Кількісні ознаки виявляються

ташовані в статевих хромосомах). Нуклеотидні послідовності

різнитися. Такі

чений

генів,

Рис. 137. Принцип формування кольору квітки в рослини

Рис. 138. Алельні варіанти гена,

Як ви знаєте, перші наукові відомості про закономірності успадкування ознак було отримано Грегором Менделем. Пізніше було виявлено, що вони є справедливими аж ніяк не для всіх ознак (ми розглянемо це в наступних параграфах). Тим не менше, ці закономірності, відомі як закони Менделя, є дуже важливими – за ними успадковується велика кількість ознак, у тому числі й притаманних людині. Схеми схрещування. Для визначення особливостей успадкування ознак можуть проводитися експериментальні схрещування (рис. 139). Організми, які мають певний варіант досліджуваної ознаки

Р – батьківське покоління (англ. parents) G – гамети (gametes) F1 – гібриди першого покоління (filial generation)

гетерозиготний

АaBb. Він матиме домінантні ознаки, зумовлені генами А і В. Учених в галузі генетики може цікавити один ген або кілька

схрещування

колір насіння. Горох

ється лише домінантна

гетерозиготного

Другий закон Менделя. Що ж відбудеться, якщо схрестити

гомозигот, гетерозиготні організми (Аа) утворюють гамети двох різних типів: з алелями А й

співвідношенні 50 : 50 (рис. 142, G). Для того щоб визначити, яким буде покоління

схрещування таких організмів, будують таблицю, що

Паннета (рис. 142, F2). У заголовках її стовпців і рядків записують

гамет, що їх продукують батьківські організми аналізованого схрещування. У комірках таблиці записують генотипи, отримані об’єднанням цих гамет. Як бачимо, у разі схрещування гетерозиготних

25 % гібридів

гого покоління будуть домінантними гомозиготами, 50 % – гетерозиготами і ще 25 % – рецесивними гомозиготами. Оскільки всі організми, які мають хоча б один домінантний алель, виявляють домінантну ознаку, жовтий колір насіння матимуть 75 % гібридів

покоління, а решта 25 % будуть зеленими. Так виявляється закономірність, яку називають другим законом Менделя або законом розщеплення: у поколінні, отриманому

Рис. 142. Другий закон Менделя

інший

є свідченням

насіння, – літерою В, запишемо

ж будуть фенотипи рослин, отриманих у результаті схрещування гібридів першого покоління? Схема цього схрещування

складнішу структуру. Ви пам’ятаєте, що, на відміну від гомозигот,

варіанти фенотипів, а співвідношення між ними становить 9:3:3:1 (рис. 145). Цю закономірність називають законом незалежного успадкування ознак: різні варіанти двох ознак розподіляються між потомками незалежно одна

одної. Важливо, що для його справедливості локуси аналізованих генів мають розташовуватися в різних хромосомах.

Аналізуюче схрещування. Ви вже вмієте визначати фенотип організму за його генотипом. Але інколи перед експериментаторами постає протилежне завдання – визначити генотип організму з певним фенотипом. Якщо він має рецесивну ознаку, то відповідь однозначна: це рецесивна гомозигота (аа). А от генотип організму з домінантною ознакою є невизначеним: він може бути як домінантною гомозиготою (АА), так і гетерозиготою (Аа). Для того щоб відповісти на поставлене запитання, проводять схрещування з рецесивною гомозиготою (рис. 146). Наявність поміж гібридів розщеплення за фенотипом (1 : 1) є ознакою гетерозиготності організму, чий генотип потрібно проаналізувати.

Знання законів Менделя дає змогу простежити успадкування багатьох ознак у свійських рослин і тварин, а також у людини.

Менделівські ознаки людини. Відповідно до законів Менделя успадковується значна

Рис. 145. Генотипи

Рис. 146. Принцип проведення

(табл. 6). Саме тому

ментації шкіри (рис. 147).

успадкування є більш складним.

Рис. 147. Ластовиння – домінантна ознака Таблиця

RHD / RHD + Rh+

RHD / rhd + Rh+ rhd / rhd – Rh-

1.

3

4.

5.

досліджуваних

продукти

взаємодіяти між собою. Кожний

має низку винятків, що призводять до відхилень від установлених Менделем чисельних характеристик успадкування. Взаємодія

складною взаємодією алелів одного гена. Неповне

ємодії

гетерозиготні організми виявляють ознаку, що є проміжною між домінантною та рецесивною. Наприклад, у ротиків садових під час схрещування рослин з червоними та

утворюються гібриди з рожевими квітками. У гібридів другого покоління в цьому випадку спостерігатимуться

функціонування організму.

настільки

розвитку), 50 % – гетерозиготами (породистими), і ще 25 % – рецесивними гомозиготами (звичайними за виглядом кішками). Співвідношення поміж народжених кошенят породистих і безпородних становитиме 2:1, що

повідає другому закону Менделя.

Взаємодія неалельних генів. Наступні приклади стосуються

лень від менделівського успадкування,

шованих у різних локусах.

Епістаз – тип взаємодії неалельних

одного гена пригнічує вияв іншого гена. Наприклад, у кішок є ген W/w (white – білий), домінантний алель якого пригнічує функціонування клітин, що відповідають за формування кольору хутра. Відповідно, тварини з домінантним фенотипом будуть білими. У рецесивних гомозигот «у гру вступають» інші гени, що визначають синтез і розподіл різних пігментів –такі кішки можуть бути рудими, чорними, плямистими, строкатими тощо. Наприклад, один з генів T/t ( tabby – строкатий) забезпечує формування поширеного строкатого забарвлення шкіри (TT/Tt – строкатість, tt –однорідне забарвлення). Проте за наявності домінантного алеля W стан цього гена не має значення,

ментних клітин (рис. 151).

Рис. 150. Менська кішка, комбінації генотипів і фенотипів

Рис. 151. Епістаз

ший тип називають кумулятивною

лятивною полімерією.

Комплементарність – тип взаємодії неалельних

у різних локусах), за якої необхідною умовою вияву

часна наявність у кожному

алеля. За таких умов наявність домінантних алелів лише в одному

зведе до появи цієї ознаки. Наприклад,

білими й червоними очима. Червоний пігмент утворюється внаслідок перетворення безбарвної речовини посередника, у якому беруть участь два різні ферменти, що кодуються двома генами. Кожен

алельні версії: домінантну, що кодує робочий фермент (А і В), і рецесивну, що кодує непрацездатний білок (а

падку є червоний

послідовна дія двох ферментів, тобто одночасна наявність

алелів (рис. 153). Генотип червоноокої мухи має бути А_В_ (де «_» позначає будь-який алель відповідного гена).

Рис. 152. Приклад полімерного успадкування кольору насіння

ознаку

лежить від сумарної кількості

алелів у будь-якому

Рис. 153. Комплементарна взаємодія генів

згаданий ген короткохвостості менських кішок: окрім змін у довжині хвоста, вони часто мають дефекти розвитку

вого міхура, проблеми

Багато інших генів також мають комплексний

Насамперед це стосується високорівневих регуляторних генів: їхня дія позначається

Рис.

лосся (рис. 155);

кістковий утвір;

розвивається

якого є нормальні хребці (рис. 155); • розвивається порівняно довгий хвіст (від 1/2 до

мального хвоста).

Варто підкреслити, що всі

довжину хвоста. Порахувавши

різного ступеня, поміж усіх носіїв

показник, який називають

розвитку хвоста, він

ти закономірності

повна пенетрантність

хвороби як такої.

4.

5.

групою (а не по одному гену). Таку особливість називають зчепленим успадкуванням. Ознаки, зумовлені зчепленими генами, успадковуватимуться не незалежно, як це відбувається згідно

третім

Менделя. Зчеплене успадкування. Феномен зчепленого успадкування та його закономірності встановив американський

хромосом, у яких містяться близько 14 000 генів. Це означає,

Морган вибрав дві: колір тулуба (сірий – домінантний, чорний

(нормальна – домінантна, недорозвинуті – рецесивна). Локуси генів, що відповідають за наведені ознаки, містяться в одній хромосомі й позначаються АВ (рис. 156, а). Схрестивши сіру муху з нормальними крилами та чорну з недорозвиненими, він отримав гібриди, які мали

нантні ознаки (див. рис. 156, а). Наступне схрещування

організмом, гомозиготно рецесивним

і короткими крилами, а також із чорним тілом і нормальними крилами (рис. 156, в). У таких мух мають бути хромосоми з комбінаціями алелів (Ab) і (aB), яких немає в батьківських організмів (рис. 156, в). Ці хромосоми формуються під

відбувається випадково в довільному місці хромосоми, тому в кожному конкретному випадку це не обов’язково буде на ділянці між генами А і

–частина утворених гамет залишиться незміненою.

рименті (рис. 1, в) сумарна кількість

локусами: що вона більша, то вища ймовірність кросинговеру.

що

розташованих в аутосомах. На відміну від них, статеві

Рис. 157.

Рис. 158.

ких ознак є більш

статі. Це ж стосується й людини. Формування організмів

ембріонального розвитку. Вирішальне значення при цьому має пара особливих хромосом, які називають статевими. У людини вони об’єднуються в 23-тю пару (рис. 159). Як говорилося вище, виокремлюють Х- та Y-хромосоми. Жінки мають дві Х хромосоми, а чоловіки по одній Х і Y-хромосомі (рис. 160). У людини жіноча стать називається гомогаметною, оскільки під час мейозу в організмі формуються яйцеклітини, які містять тільки Х-хромосому. Чоловіча ж стать є гетерогаметною: одна половина сперматозоїдів містить Х, а інша – Y-хромосому. Теоретична ймовірність народження хлопчика або дівчинки становить 50% і 50% відповідно, а стать нового організму визначається під час запліднення тим, яку статеву хромосому має сперматозоїд, що бере в ньому участь. Цікаво, що на практиці ця ймовірність є дещо іншою: на 106 хлопчиків народжується 100 дівчаток. Причини цього явища остаточно не з’ясовані.Подібний (XY) механізм визначення статі притаманний і іншим ссавцям. Інші ж види можуть

Рис. 159. Схематичне зображення каріотипу людини та мікрофотографія статевих хромосом Рис. 160. Хромосомний механізм визначення статі в людини

ріотипу стать людини

У ній же ключова роль належить гену, який позначається

determining Region Y

хромосоми (рис. 161). SRY

фактор, регулюючи роботу

цію ембріональних

їхній розвиток за чоловічим типом. Диференційовані клітини починають виробляти чоловічі статеві гормони (андрогени), які, своєю чергою, впливають на розвиток інших частин зародку. Таким чином, визначення статі зародку, що розвивається, є складним, багаторівневим процесом. Інколи ген SRY внаслідок мутацій може бути неробочим. У такому разі організм буде мати жіночий фенотип, незважаючи на те, що його каріотип має XY хромосомний набір. Тестування на наявність цього гена тривалий

перевірки спортсменів на Олімпійських іграх. Закономірності зчепленого зі

нах, локуси яких розташовані в

успадкування.

призводити до розвитку дальтонізму, гемофілії тощо (рис. 162). За таких умов

Рис.

Так, дівчата отримають від батька Х-хромосому

ситуація з хлопцями: від батька вони отримають

такого гена. Х-хромосому вони отримають від матері, й у половині випадків вона міститиме мутантний алель. Отже, половина синів, народжених у цьому шлюбі, успадкують дальтонізм. Таким чином, у здорового подружжя в якому мати є носієм хвороби, у 25 % випадків може народитися хвора дитина з дальтонізмом, і вона буде виключно чоловічої статі (рис. 163). Отже, головною особливістю зчепленого

Рис. 163. Успадкування рецесивної

активну Х-хромосому з домінантним алелем, а

– з рецесивним.

спосіб утворюється фенотип, що його

Інші форми успадкування, пов’язані

описаного вище, виділяють ознаки, обмежені статтю. У цьому випадку локуси відповідних генів містяться в аутосомах, але ознака

ної статі. Наприклад,

формою

Рис.

У попередніх параграфах ми з’ясували, як гени, що містяться в хромосомах ядра, можуть визначати різні ознаки, як ці гени передаються з покоління в покоління та до яких закономірностей успадкування

це призводить. Проте ви пам’ятаєте, що не весь геном

! Успадкування ознак, за які відповідають гени, що містяться

мітохондрій або пластид, називають

від статі. Іншими словами, якщо мати

захворювання, його матимуть усі її діти. Від батька ж такі гени дітям не передаються. У рослин, окрім

міститься

біосинтезу білків

з ураженнями мітохондріальних

симптомів: уповільнений ріст, м’язова слабкість, підвищена втомлюваність, серцева недостатність і низка проблем з функціонуванням нервової системи, нирок і дихання – ураженими будуть усі органи, які потребують значної кількості енергії для своєї роботи. Прикладом є синдром MERRF (Myoclonic Epilepsy with Ragged Red Fibers). Він пов’язаний з мутацією в гені, що кодує одну з тРНК (переносить лізин). Це призводить до порушення синтезу білків, до складу яких входить відповідна амінокислота (рис. 169).

Рис. 168. Особливості мітохондріального успадкування в людини

Рис. 169. Перерізи нормального (зліва) та ураженого (справа) м’язів за синдрому MERRF

значення для стійкості екосистем. За особливостями передавання з покоління в покоління розрізняють спадкову та неспадкову форми мінливості (рис. 1). Спадкова (генетична) мінливість зумовлена зміною генетичного матеріалу: нуклеотидної послідовності генів, структури певних хромосом, набору хромосом у ядрі тощо. Розрізняють комбінативну та мутаційну форми спадкової мінливості (рис. 170).

Комбінативна мінливість зумовлена утворенням різних наборів, комбінацій наявних алелів (без зміни структури генів, тобто без появи нових алелів). Її причинами можуть бути кросинговер,

розходження хромосом

мінливість. Мутації

сом) зміни спадкової інформації, що призводять до

наявних ознак і можуть передаватися наступним поколінням.

Як гени визначають ознаки? Що таке надлишковість генетичного коду? Рис. 170. Класифікація форм мінливості Рис. 171. Формування нових комбінацій алелів унаслідок кросинговеру

фіолетових променів,

стабільною. Сучасні дані свідчать, що в людей за покоління виникає зазвичай 5–10 мутацій, які відрізняють їх від батьків. Типи мутацій. Залежно від характеру змін генетичного матеріалу

окремлюють такі типи мутацій: генні, хромосомні та геномні. Генні, або точкові, мутації стосуються структури лише одного гена. Часто це заміна одного нуклеотиду (рис. 173). Якщо мутація припадає на інтронні ділянки генів, які не кодують структуру

різні наслідки. Однією з властивостей генетичного коду

ною

шкідливого впливу мутацій.

Рис. 172. Вплив ультрафіолетового випромінювання

Рис. 173. Механізм виникнення точкової мутації

генні мутації, використовуючи схему. Вироблення шкірою меланіну під час засмагання є захисною реакцією від негативної дії ультрафіолету. Яку форму мінливості ілюструє цей приклад?

серпоподібноклітинна анемія (рис. 174). Гіршою є ситуація, коли через мутацію триплет, що кодує амінокислоту, перетворюється на стоп-кодон (нонсенс-мутація). Тоді синтез поліпептидного ланцюга припиняється раніше, а утворений короткий білок, імовірно, буде нефункціональним. Отже, така мутація призведе

організму, тобто розвитку хвороби.

Рис. 174. Нормальний (праворуч) і серпоподібний (ліворуч) еритроцити

Рис. 175. Типи хромосомних

Геномні

появу триплоїдних (х3), тетраплоїдних (х4) та інших

свідчать, що таке відбувалося

в рослин. Наприклад, тетраплоїдними є

може виникати і за умов

може застосовуватися

рослина тритикале (рис. 177) виведена як міжвидовий гібрид

та жита, її каріотип містить диплоїдні набори хромосом обох

Наслідки мутацій для організмів. За цим критерієм виокремлюють такі типи мутацій: негативні (спричиняють захворювання, погіршення функціонування або загибель), нейтральні та корисні (надають більші переваги, ніж вихідні форми). Через те що мутації відбуваються не напрямлено, а випадково, більшість їх є

виникають порівняно рідко, але

ції. Якщо мутація виникла

вих), вона

ріння клітин і тканин (рис. 179).

ків, тобто зростає більше ніж

через дії мутагенів

запрограмованої

олюють стан

їх. Це є частиною імунітету. Коли ж описані механізми

небезпеки контакту зі шкідливими

приклад, на виробництві, потрібно обов’язково використовувати засоби захисту та дотримуватися правил безпеки.

Рис. 180. Статистичні дані щодо обсягів куріння цигарок (чорна

раку легень поміж чоловіків

2.

3

4.

Модифікаційна мінливість

Що таке мінливість, які її форми розрізняють? Як рослини та тварини пристосовуються до річних, сезонних, добових

тягом індивідуального розвитку організмів. ! Неспадкова мінливість – це зміни

нізмів, що відбуваються впродовж їхнього індивідуального розвитку й

передаються наступним поколінням. Її називають також модифікаційною

каціями

рослини відрізнятимуться від тих, що виростуть на

вами та нормальним поливом (рис. 181). Модифікації можуть стосуватися й частин окремого організму. Наприклад, у рослини стрілиці форма

залежить від середовища, у якому вони розвиваються: у воді вони мають видовжену ниткоподібну форму, на повітрі розвиваються

у формі стріли (рис. 182).

цю сполуку в сіамських кішок, інактивується за звичайної

ня. Зміна температури

Проте ступінь

його генотипом: широкими

одних ознак і вузькими – для інших. Так, змінюючи характер харчування людини в дорослому віці, зазвичай легко змінити масу тіла

харчування). Проте майже неможливо суттєво змінити зріст чи довжину кінцівок. Модифікаційні зміни є оборотними: у разі повернення умов існування до вихідних ознака змінюється відповідно. Так, переведення сіамської

темніння шерсті, а корекція раціону людини з надлишковою вагою супроводжуватиметься схудненням.

Лабораторна робота

Вивчення закономірностей модифікаційної мінливості Мета: встановити закономірності модифікаційної мінливості. Обладнання та матеріали: рослинні об’єкти (листки, бульби картоплі, насіння, суцвіття злакових рослин тощо), лінійка, олівець, ручна лупа.

Перебіг роботи:

1.Визначте ознаку, яку будете досліджувати в запропонованому об’єкті.

2.Полічіть загальну кількість запропонованих для дослідження об’єктів (n) і запишіть у таблицю.

3.Визначте довжину кожного листка (або кількість вічок бульби картоплі, квіток суцвіття тощо) – варіанту (V) ознаки.

4.Полічіть частоту зустрічальності кожної варіанти (Р).

5.Побудуйте графік частоти зустрічальності

6. Проаналізуйте графік. Сформулюйте закономірності модифікаційної

1.

2.

попередніх параграфах ви дізналися, як зберігається генетична інформація, як вона реалізується в ознаках організмів і передається з покоління в покоління. Важливе значення має регуляція активності генів. Ви пам’ятаєте, що багатоклітинні організми сформовані клітинами різних типів, які утворюються шляхом диференціації

щоб правильно сформувалися диференційовані клітини, необхідно

послідовності активувати певні гени (і

активації непотрібних генів). Крім того, залежно від умов середовища певні гени повинні працювати більш чи менш активно. Задля цього існує низка механізмів, які працюють

стадіях реалізації генетичної інформації (рис. 184). Транскрипційні фактори. Регуляція транскрипції дещо різниться в прокаріотів та еукаріотів. Ми зупинимося детально на останніх. Для початку транскрипції РНК-полімераза повинна бути зв’язаною зі спеціальними білками, які називають транскрипційними факторами. Головні транскрипційні фактори уможливлюють або блокують транскрипцію гена в цілому. Крім них, існують додаткові транскрипційні фактори, які зв’язуються з регуляторними послідовностями ДНК, що можуть розташовуватися як поблизу регульованого гена, так і на значній відстані від нього (рис. 185). За ефектом, що чиниться на процес зчитування інформації, розрізняють енхансери (від англ. enhance; підсилюють транскрипцію) та сайленсери (від англ. silence; послаблюють). Цікаво, що регуляторні

регуляторних

інших стимулів (рис. 186). Транскрипційні фактори можуть впливати на активність багатьох генів, деякі з яких також можуть бути регуляторними. Це вказує на складність регуляції функціонування генотипу. Описані механізми відіграють важливе значення, зокрема в регуляції ембріонального розвитку. Важливими транскрипційними факторами є білкові продукти hox-генів, які визначають загальний

транскрипційні фактори регулюють

ген FOXP2

Рис.

(«над генами») регуляції,

транскрипції

їхньою

нів здійснюється в цитоплазмі (рис. 189). Для

повинна зв’язатися з рибосомою. Цей процес

блокуватися спеціалізованими білками. Молекули мРНК мають

зазнають руйнування.

так і, навпаки, прискорювати її. Ми навели не

можуть бути представлені різними алелями. Це створює генетичну різноманітність популяції (рис. 190), яка має важливе значення для стійкості виду та еволюційних процесів, що з ним відбуваються. ! Сукупність алелів усіх генів, наявних у популяції (чи всіх особин виду) становить генофонд популяції (або виду).

Деякі гени можуть бути представлені лише одним алельним варіантом – зазвичай це гени, що зумовлюють дуже важливі для функціонування організму ознаки, тому мутації в них є летальними. Наприклад, до таких належать

білків дихального ланцюга мітохондрій

дови тіла тварин. Менш важливі для існування гени можуть бути представлені кількома алелями, формуючи генетичну мінливість.

множення організми обмінюються

різні варіанти ознак, за умови дотримання певних

генетичною рівновагою. Для його

щоб • популяція мала достатньо велику чисельність;

• усередині не відбувалося вибіркового схрещування (кожна пара особин різної статі має однакову

потомство); • на неї не діяли фактори добору за певними ознаками/генами.

Зрозуміло, що аж ніяк не всі популяції задовольняють таким критеріям.

(рис. 191).

Різке скорочення чисельності популяції

співвідношення

носіїв небажаних

Закон Харді-Вайнберга в математиці Позначимо літерами p та q частки домінантного (А) та рецесивного (а) алелів у генофонді певної популяції. Якщо в цього гена лише два алелі (найпростіший випадок), то сума p + q =1 (100%). Кількості носів різних генотипів у цьому разі можна порахувати за формулами: p2 (AA), 2pq (Aa) та q2 (aa). За умов генетичної рівноваги ці числа будуть постійними.

Що таке геном?

ходу

галузі соціології, культурології, антропології

людство на раси, національності, етнічні та інші групи. Неоднорідність людства очевидно помітна навіть у зовнішніх ознаках будови: ми різнимося кольором шкіри, волосся, зростом, формою та розміром очей і багатьма іншими параметрами (рис. 192). З матеріалу попередніх параграфів зрозуміло, що такі відмінності повинні мати в тому числі і генетичне підґрунтя. Звісно, немає якихось специфічних генів, які б зумовлювали належність до тієї чи іншої

дослідження свідчать, що 99,9%

і мутації, що виникають як нові. Ця різниця геномів

звісно, частина

мінливістю внаслідок впливу середовища.

Рис.

Генетично

є несинонімічною, змінена

подібні до вихідної, а тому структура білка може змінитися

лишати його функціональним, але змінювати

відсотків. Це не призведе до таких катастрофічних

раніше (§37), але за умови

тим чи іншим фенотипом. У такий

ділянки, пов’язані з різними варіантами ознаки. Цікаво, що 85%

спільними для всього людства, а інші 15% є специфічно різними в представників різних людських популяцій. Якщо досліджувані відмінності

Що таке геном?

Які основні етапи антропогенезу?

Які фактори зумовили виникнення виду Homo sapiens?

раніше молекулярно-біологічних

Секвенування

різних організмів (рис. 194), біологи

спорідненості (рис. 195).

Рис. 194. Приклад аналізу

методів біоінформатики

Рис. 195. Реконструкція еволюції гомінід на основі молекулярно-генетичних

свідчать, що близько 98% послідовності ДНК людини і

є спільними. Більшість відмінностей зумовлені однонуклеотидними замінами, яких налічують близько 35 млн. Решта (близько 3%

зумовлена хромосомними перебудовами – вставками, видаленнями тощо. Частина активних генів шимпанзе в людини втрачена або не функціональна – таких налічують близько 80. Істотна частина з них (36) припадає

цепторів. Інші

ся в процесі атропогенезу. До них, наприклад,

FOXP2, порушення

лення. Вивчення таких

людини.

Генетика та міграції людства. Важливу інформацію

дження

покоління в покоління лише по жіночій (мітохондріальна) та чоловічій (Y) лініях. На відміну від ДНК аутосом, ці

в процесі кросинговеру. Тому

реконструювати зміни їхньої

ства (рис. 196).

Рис. 196. Карта поширення

зрозуміли, що чимала кількість ознак людини, у тому числі

медична генетика, основними завданнями якої є визначення

з порушеннями генетичного матеріалу, розроблення та впровадження методів діагностики генетичних хвороб, їх профілактика й лікування (рис. 197).

Класифікація спадкових захворювань

наявністю патологічного

ферментопатією є феніл-кетонурія

на нестачею фінального продукту, можуть бути мутації в кількох різних генах (які кодують різні ферменти даного ланцюга). У такому випадку йдеться про генетичну гетерогенність захворювання (рис.199).

Шарко-Марі-Тута, за якої порушуються периферійні нерви, розвивається атрофія м’язів кінцівок

пам’ятаєте,

До таких

раніше колірна сліпота (дальтонізм), а також гемофілія (пов’язана

факторів, потрібних для згортання крові). Закономірності успадкування

ж самі, що й дальтонізму. Частина хвороб

парою хромосом). Відомі й інші трисомії: за 13-ю (синдром Патау) і 18-ю (синдром Едвардса). Описано порушення, пов’язані з наборами статевих хромосом: синдром Клайнфельтера (XXY замість XY), синдром Тернера (Х замістьХХ) та ін. (рис. 200). Лікування хромосомних хвороб нині є неможливим. Медицина може лише пом’якшити вияв негативних симптомів. Хвороби із спадковою схильністю. У попередніх

читали, що ознаки формуються

ночасно дозріли дві яйцеклітини, які були запліднені

сперматозоїдами, народжені діти будуть мати генотипи, спільні настільки ж, як у братів чи сестер, народжених у різний час (дизиготні

маніакально-депресивного психозу (53%), умови життя створюють істотний

тому ми говоримо, що успадковується не хвороба, а схильність захворіти. Генетично зумовлена схильність може впливати і на розвиток інфекційних хвороб (які, здавалося б, мають цілком незалежну від генотипу зовнішню причину). У цьому випадку на ймовірність

жуть впливати гени, задіяні у формуванні імунітету. Наприклад, ген CCR5, локалізований у 3-й хромосомі,

який використовується вірусом імунодефіциту

(Н від Heredity)

100 KmKd

H Kd

їх поки що неможливе. Тому потрібно якомога раніше

подружньої пари, яка хоче мати дитину. В ідеальній

сультацією повинні звертатися

шлюб, вплив шкідливих факторів (наприклад, на виробництві) на організм майбутньої матері. У процесі медико-генетичного консультування на

інформації

які потрапляють в амніотичну рідину,

аналіз виділеної з них ДНК (секвенування) – мутації в ключових для деяких захворювань генів. У разі пренатальної (допологової)

ного захворювання медики

шують ризик розвитку

тання генетичних

грес у

сучасна біомедицина

3

Уявіть, що ви працюєте в закладі медико-генетичної консультації. До вас звернулося подружжя. У їхніх родинах траплялися випадки таласемії – аутосомно-рецесивної хвороби, що пов’язана з порушенням синтезу гемоглобіну. Чоловік і жінка здорові, але генетичний аналіз виявив у чоловіка рецесивний алель гена α-субодиниці гемоглобіну. Батьки хвилюються, що в них може народитися дитина з таласемією. Оцініть імовірність такого випадку.

та рослини з білими квітками. Отримане

рівну кількість рослин із квітками обох кольорів. Визначте генотипи батьківських рослин. Як називається такий тип схрещування?

2.Користуючись решіткою Паннета (§ 33), визначте генотипи та фенотипи покоління від схрещування організмів AaBB x Aabb.

3.Схрестили дві рослини нічної красуні, що мали білі та червоні квітки. Усі рослини отриманого покоління мали пелюстки рожевого кольору. Відомо, що за вияв цієї ознаки відповідає один ген. Як називається такий тип успадкування? Яким буде фенотип покоління від схрещування рослин з рожевими та білими квітками?

4.У подружжі чоловік має четверту групу крові, а жінка –другу. Відомо, що батько жінки має першу групу крові. Визначте генотипи чоловіка та жінки. Яку групу крові можуть мати їхні діти?

5.Уявіть, що ви працюєте в закладі

6.Sonic hedgehog (shh, «їжачок Сонік») – це назва білка (і відповідного гена), що регулює розвиток кінцівок. Він перебуває під впливом гена LMBR1, локус якого міститься в 7-й хромосомі. Мутація хоча б в одній копії LMBR1 призводить до порушення нормальної експресії гена shh, унаслідок чого

Проект

Етапи реалізації проектів

Генетичний моніторинг у людських спільнотах

Що таке генетичний моніторинг?

Якими методами його здійснюють?

Які завдання генетичного моніторингу?

Наведіть приклади конкретних результатів.

Скринінг – програми

для новонароджених

Що таке скринінг?

Якими методами його

здійснюють?

У чому важливість і

корисність скринінгу

новонароджених?

Генотерапія та її перспективи Що таке генотерапія?

Які існують сучасні методи генотерапії? Які хвороби можна лікувати за їх допомогою?

Які новітні методи генотерапії зараз тестують учені?

Індивідуальні

Ознайомтеся з інформацією: «Синдром Дауна є найпоширенішою хромосомною аномалією в людини. У середньому частота народження дітей із цією хворобою становить 1:1000, проте існує залежність від віку матері, яка представлена на графіку. Безпосередньою причиною патології є

наявність додаткової, третьої хромосоми в 21-й парі. Зазначена мутація виникає спонтанно. Практично завжди батьки дитини, що має це захворювання, є здоровими. Наразі не виявлено жодного фактора поведінки людини або ж довкілля, який

впливав на ймовірність виникнення цієї мутації. Люди із синдромом Дауна мають ряд проблем із здоров’ям, у тому числі і затримку розумового розвитку. За умови врахування індивідуальних особливостей

досягати успіхів у навчанні, успішно соціалізуватися та виконувати певну роботу. Сто років тому середня тривалість життя таких

Зараз у розвинутих країнах

діаграми, на якій представлено ймовірність вияву

із синдромом

клас поділили на дві групи. Перша група зазначила, що

старих клітинних компонентів.

порушення розвиваються

речовини, які повинні бути зруйнованими, не деградують і залишаються в клітині. Однією з таких патологій є спадкова хвороба Тея-Сакса. Її причиною є мутація в гені HEXA, який

кодує лізосомний фермент гексозоамінідаза А (на рисунку), який руйнує старі структурні елементи нейронів (гангліозиди). Розташування його локуса позначено на зображенні нижче:

ються, що призводить до

1.

2.

трансляцією В реплікацією

Г репарацією

3. Укажіть імовірність народження

А 0 %

Б 25 %

В 50 %

Г 100 %

4. Спосіб успадкування певної ознаки,

називають

А епістазом

Б полімерією

В домінуванням

Г плейотропією

5. Послідовність розташування

АВСDEF. Унаслідок

лянок: АСВDEF?

А геномної

Б хромосомної

В поліплоідії

анеуплоідії

6.

а батько хворіє на гемофілію. Укажіть

ня дитини, яка буде

9. Мутація може

1

та наукових досліджень. У 2003 році

рування структури ДНК людини. Нерозшифрованою залишалася

безпечена механізмами реплікації

ності. На основі інформації, записаної в ДНК, синтезуються молекули РНК та білки. Деякі ферменти забезпечують

молекул

реплікацію. Інші білки беруть участь у клітинному поділі, забезпечуючи передавання молекул ДНК дочірнім клітинам, у результаті чого цикл молекулярної репродукції замикається (рис. 204). На клітинному рівні основою самовідтворення є процес поділу. Ви пам’ятаєте, що утворення нових клітин відбувається лише шляхом

Клітинний поділ

пов’язаний з описаними вище молекулярними процесами,

багатьох видів розмноження відбувається статевим шляхом, тобто пов’язано з обміном між різними організмами генетичною інформацією за допомогою спеціалізованих статевих клітин (рис. 205). Важливим наслідком цього є

Рис. 204. Самовідтворення на молекулярному рівні

Рис. 205. Репродукція людини, пов’язана з утворенням спеціалізованих статевих

вання наявних форм. За змін умов існування

адаптуючись під них. Механізмом цього є

якого є спадкова мінливість, зокрема мутаційна. Шляхом

коління в покоління змін організми можуть стати настільки відмінними від вихідної форми, що ми починаємо розглядати їх як

відбуваються дуже поступово,

проміжках (рис. 206). Варто наголосити, що

сучасних організмів, який існував 3,5–3,8 млрд років тому (рис. 207).

Рис. 206. Поступове перетворення форм предків сучасних коней. Цифри – час існування, млрд років тому

Рис. 207. Зв’язок гіпотетичного останнього універсального предка (LUCA) із сучасними живими формами 1.

2.

виокремлюють три періоди – пресинтетичний, синтетичний та

синтетичний. Найтриваліший період – пресинтетичний, під час якого клітини ростуть, утворюють потрібні для життєдіяльності речовини, запасають енергію. У цей період збільшується кількість органел клітин. Важливим є синтетичний період, під час якого утворюються копії молекул ДНК клітини, тобто відбувається реплікація (рис. 209). У постсинтетичний період тривають накопичення енергії, синтез РНК й білків. Періоди, з яких складається інтерфаза, тривають до 90 % часу

клітинного циклу. Типи поділу клітин. Існують

Рис. 208.

209.

веретена поділу до різних полюсів клітини. Оскільки

у багатоклітинних організмах. ! Мейоз – тип клітинного поділу, за якого вдвічі зменшується число хромосом (кількість молекул ДНК). Унаслідок мейозу з диплоїдної клітини

формуються чотири клітини з одинарним гаплоїдним набором хромосом (рис. 211). Біологічне значення мейозу полягає в

числа

що необхідно для утворення статевих клітин. Рекомбінація ДНК під час кросинговеру урізноманітнює комбінації генів, що є одним

формування комбінативної мінливості. Ріст та розвиток клітин. В одноклітинних організмів термін існування окремого організму збігається з клітинним циклом. У багатоклітинних організмів ситуація складніша.

утворюють різноманіття клітин різного типу, що можуть

3,0-3,7х1013 клітин, які

хромосоми Мейоз

Еритроцити, 84%

Тромбоцити, 4,9%

Червоний кістковий мозок, 2,5%

Жирові клітини, 0,2%

Лімфоцити, 1,6%

Гепатоцити, 0,8%

Фібробласти шкіри, 0,1%

Ендотелій судин, 2,1%

Ендотелій бронхів, 0,5%

Інтерстиціальні клітини дих. системи, 0,5%

Епідерміс, 0,2%

М’язові, 0,001%

Інші, 2,2%

дження, їхнє функціонування

клітини оновлюються часто, наприклад, термін існування клітини

становить 2–3 дні. Деякі ж існують до смерті організму, наприклад, більшість нейронів.

Загибель клітин. Іноді для розвитку організмів необхідна загибель певних клітин, зокрема, у такий спосіб у людини під час ембріонального розвитку формуються проміжки між пальцями кінцівок,

хвіст (рис. 213). Таку програмовану смерть клітин називають

(від гр. απόπτωσις – опадання, листопад). Деякі

шляхом апоптозу. Імунні клітини можуть запускати апоптоз

разі, якщо ідентифікують наявність у

їхньої здатності

часто використовують у лабораторних

лини 1951 року. Усі клітини цієї лінії, використовувані в лабораторіях усього світу, є потомками вихідної клітинної колонії (рис. 214).

Рис. 213. Загибель деяких клітин є важливим

Рис. 214. Клітинна

частину внутрішнього вмісту якої займає ядро, шийки та хвоста. Основою хвоста є джгутик, що забезпечує переміщення в просторі (рис. 215). У голівці сперматозоїдів ссавців є важлива мембранна органела –акросома. Вона заповнена ферментами, потрібними для розчинення захисних оболонок яйцеклітини. Жіночі статеві клітини називають яйцеклітинами. Вони містять багато цитоплазми, потрібної для забезпечення організму речовинами та енергією на ранніх стадіях ембріонального розвитку, а в деяких видів – упродовж усього цього періоду (рис. 215). Формування статевих клітин у людини. Процес утворення

є раніше проаналізований мейоз. Формування чоловічих статевих клітин називають сперматогенезом. Виділяють три його стадії. На першій клітини попередники сім’яних канальців сім'яників розмножуються мітозом, після чого деякі з них вступають у мейоз. По закінченні обох його поділів формуються гаплоїдні клітини, що поки не є зрілими сперматозоїдами. Дозрівання є третьою стадією: утворюються

Рис. 215. Будова статевих клітин

контролюються статевими гормонами. Запліднення. Формування

зоїди під час статевого акту

ядро. Після цього в мембрані яйцеклітини відбуваються зміни, що унеможливлюють злиття з

та сперматозоїда зливаються. З цього моменту

Вона просувається за

де

запліднення відновлюється диплоїдний набір хромосом,

для підтримання сталості хромосомного

Лабораторна робота

певного виду.

Будова статевих клітин Мета: ознайомитися з будовою статевих клітин; порівняти особливості будови яйцеклітини та сперматозоїда; пояснити біологічне значення відмінностей. Обладнання та матеріали: мікроскоп, мікропрепарати «Яйцеклітина ссавця», «Сперматозоїди ссавця», рисунки статевих клітин, підручник.

Перебіг роботи: 1. Розгляньте за допомогою

ця», «Сперматозоїди ссавця». Замалюйте

структури будови.

1. Дайте означення понять статеві клітини, запліднення

2. Порівняйте особливості будови яйцеклітини та сперматозоїда.

3.Чим зумовлені відмінності

4. Поясніть процес гаметогенезу

5. Прокоментуйте біологічне значення запліднення.

Ви вже знайомі з багатьма їх аспектами: гаметогенез, функціонування статевих органів, запліднення, ембріональний

ку контролюють статеві гормони, які активують вроджену

в людини ці механізми не мають

то способів

Рис.

ливе значення не лише для розмноження.

кількість фізіологічних процесів регулюють статеві гормони, а тому воно є запорукою тривалого нормального функціонування організму загалом (рис. 218). Зовнішні статеві органи мають чутливі слизові оболонки, тому за їх гігієною необхідно слідкувати більш ретельно, ніж за іншими ділянками шкіри. Значну проблему становлять хвороби, які передаються під час статевого контакту, збудниками яких можуть бути віруси (ВІЛ у випадку СНІДу,

тощо), бактерії (гонокок

хламідії – хламідіозу), гриби (Candida albicans у

кандидозу) або найпростіші (трихомонади). Наслідками цих хвороб можуть

сексуальної функції (імпотенція), безпліддя та системні захворювання, які можуть закінчитися смертю. Для профілактики потрібно слідкувати

зервативом, який у

тривалі

Яку будову мають сперматозоїд, яйцеклітина?

Що таке запліднення?

свіду, спрямований на розв’язання проблеми дітонародження та планування сім’ї. Наразі репродуктивна медицина зробила крок уперед, завдяки чому з’явилися новітні методики, спрямовані на реалізацію репродуктивної функції пар, які не можуть зачати дитину природним шляхом. Доречно розглянути декілька сучасних методів репродуктивної медицини. Метод екстракорпорального запліднення (ЕКЗ) полягає в тому,

жінки за допомогою спеціальної гормональної терапії провокують вироблення яйцеклітин, які витягують і запліднюють у сприятливих умовах за допомогою сперми її чоловіка або донора. Надалі отриманий ембріон уводять у порожнину матки, що уможливлює вагітність (рис. 219). Заморожування ембріонів необхідно для повторного

досить часто трапляються випадки,

перше ЕКЗ не закінчується вагітністю. Щоб жінка не піддавалася зайвий раз гормональній терапії, під

фізично, а й психічно, крім того, у них повинні бути свої діти. Прийняття рішення про подібне лікування вимагає

Донорство яйцеклітини

з якоїсь причини не може продукувати

зрівають. Яйцеклітина

носити й народити дитину.

Банк донорської

Дайте означення понять онтогенез, ембріогенез.

Вам уже відомо, що перший етап онтогенезу багатоклітинних тварин –ембріогенез (ембріональний розвиток) – можна поділити на кілька періодів: дроблення, бластуляція, гаструляція, гістогенез (формування тканин) і органогенез (формування органів) зародка. Особливості ембріогенезу хордових тварин. Перший етап ембріонального розвитку називають дробленням. У цей час зигота послідовно ділиться шляхом мітозу. Особливість цього процесу полягає в тому, що під час інтерфази утворені клітини (їх називають бластомерами) не збільшуються в об’ємі (рис. 221). Усі утворені клітини зазнають поділу водночас, а тому після першого поділу зародок складається з 2 бластомерів, далі їх стає 4, потім 8, 16 і т. д. Утворені бластомери зрештою розташовуються по периметру сфери. У цей час зародок складається з одного шару клітин, усередині якого є порожнина. Цю стадію називають бластулою, а процес її утворення – бластуляцією. На наступній стадії зародок стає двошаровим – частина бластомерів формує внутрішній шар. Це може відбуватися в різні способи, один з яких – впинання частини зародка всередину. Цю стадію називають гаструлою, а процес – гаструляцією (рис. 221). Утворені шари клітин називають зародковими листками, зовнішній

–ектодермою, внутрішній –

хорди,

і більшості хвороботворних мікроорганізмів.

приклад ВІЛ), бактерії (збудники сифілісу тощо), одноклітинні (токсоплазма тощо) та багатоклітинні (різні

захист плода материнським організмом

половина тіла припадає

формуються риси обличчя, повіки, ніс, губи, очні западини, кінцівки, розпрямляється

– це час розвитку плаценти (3–10-й тиждень зародкового

гається з періодом формування зачатків органів). В

ризик передчасних пологів.

одні тканини або органи

реагуючою системою,

ембріонального

хімічних речовин, які називаються морфогенами. Ефект дії багатьох з них визначається концентрацією (рис. 225). Ми розбирали приклади дії таких сполук раніше

Рис.

Лабораторна робота

Вивчення етапів ембріогенезу Мета: ознайомитися з етапами ембріогенезу хордових; пояснити кількісні та якісні зміни під час ембріогенезу. Обладнання та матеріали: мікроскоп, мікропрепарати «Поділ яйцеклітини», «Зародкові листки».

Перебіг роботи: 1. Дроблення. Розгляньте за допомогою мікроскопа мікропрепарат «Поділ яйцеклітини». Порівняйте побачене з рисунком етапів ембріогенезу. Замалюйте запліднені яйцеклітини, що перебувають на різних стадіях дроблення. 2. Утворення зародкових листків. Розгляньте мікропрепарат

3. Поясніть кількісні та якісні зміни під час ембріогенезу.

– процес відновлення організмом утрачених або

них складових. Регенерація трапляється

тягом всього онтогенезу

представників у популяції (рис. 226). Особливості процесів регенерації організму людини. Фізіологічна регенерація відбувається протягом усього життя організму. Вона характеризується оновленням клітин слизових оболонок, внутрішніх органів, різних тканин. Подібна регенерація постійно відбувається, наприклад, у покривному епітелії, у якому періодично спостерігається злущення ороговілих клітин із заміною їх клітинами внутрішніх шарів, що розмножуються. Аналогічним чином відбувається також розмноження та дозрівання в кістковому мозку еритроцитів, лейкоцитів тощо. У високодиференційованих клітинах, де регенерація за рахунок клітинного поділу неможлива, цей

характеризується періодичним

забезпечується

утворення клітин і внутрішньоклітинних складових не в місці пошкодження, а в тканинах, що розташовані поряд. Сама ж ділянка некрозу поступово заповнюється сполучною тканиною, що надалі перетворюється на рубець. Таку форму називають неповною регенерацією. Так, наприклад, у міокарді ділянки некрозу завжди утворюються з формуванням рубцевої тканини, а відновлення скоротливої функції серцевого м’яза забезпечується збільшенням кількості ядерних і цитоплазматичних складових у життєздатних клітинах. Патологічну регенерацію можна

ня харчування (білкова, вітамінна недостатність), порушення нервової регуляції, гормональних розладів, пригніченні імунних реакцій; її характеризують сповільнення або спотворення процесу. У цих випадках загоєння рани, перелому кістки затримується і набуває млявого перебігу, виникають виразки, що не загоюються, келоїдні рубці, несправжні суглоби тощо (рис.227). Патологічну регенерацію спостерігають зазвичай за відсутності загальних

ними

людини. ! Трансплантація – метод, що полягає в пересадці реципієнту

або тканини (трансплантата), узятих у донора, а також клонованих тканин, штучних імплантатів (електронних, металічних тощо).

Вважається, що початком трансплантації є опанування технікою переливання крові. А вже у 1902 році віденський хірург Е. Ульман здійснив

ресадку нирки козі від собаки. Першу трансплантацію

цілого органа людині (нирки від померлої людини) здійснив український учений Ю. Ю. Вороний у 1933 році. Тоді нирка включилася

чала самостійно функціонувати.

Існує декілька способів трансплантації (рис. 229): • аутотрансплантація (аутологічна трансплантація) – реципієнт трансплантата є донором для самого себе. Наприклад, аутотрансплантацію шкіри з неушкоджених ділянок на обпалені широко

опіках. Аутотрансплантацію

хіміотерапії широко застосовують

• ізотрансплантація (гомологічна трансплантація) – донором трансплантата є генетично й імунологічно ідентичний

близнюк;

• аллотрансплантація (гетерологічна трансплантація) – донором трансплантата є організм того самого

ється від

Об’єктами трансплантації

бути клітини, тканини, органи та їх частини. Людині найчастіше трансплантують кістковий мозок, шкіру, нирки, печінку й серце. Пізніше до цього списку додалися тонкий кишечник, долі й сегменти печінки, легені, кістки, підшлункова залоза, клітини панкреатичних острівців (рис. 230). Для трансплантації використовують як трупні, так й отримані від живих донорів органи й тканини. Правила біологічної етики. Існують дві основні юридичні моделі регулювання процедури отримання згоди на вилучення

Така модель прийнята в

Які

ко 13% усіх випадків смерті людей. Розуміння причин

біомедицини.

Механізм формування онкологічних захворювань. Як було зазначено раніше, багатоклітинні організми складаються з великої кількості клітин різних типів, які повинні узгоджено функціонувати. Нормальна діяльність зумовлюється програмою реалізації генетичної інформації, яку ми аналізували раніше. Проте ця інформація може зазнавати змін у результаті мутацій, що може спричинити різноманітні розлади в роботі клітин (рис. 231). Порушення їхньої взаємодії може призводити до неконтрольованого росту та формування з нащадків таких клітин пухлин. Пухлини можуть перетискати кровоносні судини, нерви та інші життєво важливі частини організму, зашкоджуючи нормальному функціонуванню та призводячи до

смерті. Від пухлини можуть відриватися поодинокі клітини, поширюватися

крові та давати початок новим пухлинам – метастазам. За нормальних умов генетична сталість організму контролюється імунною системою, яка знищує змінені клітини в разі їх виникнення. Імовірність розвитку онкологічних хвороб залежить від низки чинників.

Рис. 231. Особливості будови, що відрізняють ракові

біологічні. До хімічних факторів належать речовини різної структури та походження: : наприклад, мінеральні добрива, азбест, різноманітні органічні сполуки (деякі гербіциди, інсектициди, сировина хімічної промисловості тощо). Джерелом більшості таких речовин у навколишньому середовищі є викиди промислового виробництва. Через забруднені ґрунт, воду або повітря ці речовини можуть потрапити

під час тютюнопаління. Механізмом дії цих речовин на клітинному рівні

бути хімічна модифікація молекул ДНК, порушення клітинного поділу, які призводять до виникнення мутацій.

Фізичними онкогенами є іонізувальне та ультрафіолетове випромінювання. Вони переносять порівняно велику енергію, яка може поглинатися молекулами клітин, унаслідок чого відбувається їхня модифікація – розрив хімічних зв’язків та утворення шкідливих проміжних сполук, які, своєю чергою, можуть взаємодіяти з білками та нуклеїновими кислотами, порушуючи їхнє функціонування. Джерелами іонізувального випромінювання можуть бути радіоактивні ізотопи різних елементів, що вивільняються в зовнішнє середовище внаслідок ядерних випробувань, аварій на атомних електростанціях тощо.

складовою сонячного

ну

та С, інфікування якими підвищує

ше ми наводили приклад мутацій у

підвищеним ризиком спонтанного

алелів (наприклад,

лосся, також зумовлюють

Спосіб життя та

вими факторами. Ризик захворіти підвищується внаслідок

активності, незбалансованого харчування, ожиріння. Онкологічні захворювання. Зважаючи на те, що частина онкогенних факторів

ду. Частина

відсотково ефективних засобів захисту від онкологічних захворювань немає. Проте дотримання низки профілактичних заходів

ризик їх виникнення. До них можна

бами захисту, уникання

сучасних молекулярно-біологічних методів, зокрема генетичних

для самостійного контролю (рис. 234). У разі, якщо людина

негайно звернутися до лікаря. Вакцинація від вірусів

3

4.

чинниками зовнішнього середовища та впливають лише в період своєї

Роль спадкових факторів. Для людини справедливі закони спадковості. Багато ознак (тип статури, колір очей, волосся, група крові тощо) визначається ще до народження (рис. 235). Ці ознаки називають жорстко детермінованими. На їх формування в процесі розвитку організму зовнішнє середовище майже не впливає. Однак більшість ознак не детермінована, і на її формування умови середовища впливають суттєво. Мають спадкову схильність, але визначаються значною мірою впливом зовнішнього середовища такі ознаки людини, як інтелект, зріст і маса тіла, сила і спритність м’язів, схильність до деяких захворювань тощо. Вплив негативних чинників на розвиток плода. Хоча формування органів і функціональних систем дитини в процесі ембріонального розвитку визначається генотипом,

Рис. 235.

сприяє розвитку захворювань (§ 24). Роль психологічних чинників, виховання та навчання. Затримка росту дитини

знижуються

тіла дітей, які виросли в умовах

виховання. У постембріональному розвитку дитини вплив чинників зовнішнього середовища зростає. Особливості характеру, властивості пам’яті, довільної уваги, мислення визначаються не лише природними задатками, але й умовами виховання й навчання. Під час формування багатьох функцій існують критичні періоди, коли навчання є найбільш ефективним. Це стосується, наприклад, опанування в ранньому віці мов – по завершенні оптимального періоду навчання відбувається складніше і за участі дещо

Підтвердженням цьому є випадки

(рис. 236). Робота мозку підлітків оптимізована

інформації. В результаті цього формуються нейронні зв’язки, які є підґрунтям для ефективної роботи дорослого мозку. Таким чином, існують спадково детерміновані можливості фізичного

психічного розвитку людини, натомість

торів зовнішнього середовища.

Рис. 236. Вплив чинників

Ознайомтеся з інформацією: «Теломери є ділянками ДНК, розташованими на

тей нуклеотидів. Наприклад, у людини повторюваний

має послідовність ТТАГГГ. Особливістю процесу реплікації молекул

ДНК є те, що залучені до нього ферменти

не здатні копіювати кінцеві ділянки моле-

кули, а тому після кожної реплікації дочір-

ні молекули ДНК стають коротшими на

кілька десятків пар нуклеотидів (на рисун-

ку теломери позначено червоним). Якщо

на момент народження теломери мають

довжину близько 11 тис. пар нуклеотидів, то в людини похилого віку вона становить приблизно 4 тис. пар нуклеотидів.

Отже, теломерні послідовності

Фактори росту

Ознайомтеся

межами організму («у пробірці»). Пізніше дослідники ідентифікували речовину, яка зараз відома як фактор росту нервів (Nerve growth factor – NGF). Це відкриття започаткувало новий напрям у біології, а NGF виявився першим з великої групи сполук, які називають факторами росту. Наразі відомо, що вони відіграють важливу роль у нормальному розвитку організмів, а порушення їх функцій пов’язано із різноманітними захворюваннями.» («Rita Levi-Montalcini – Nobel Lecture: The Nerve Growth Factor: Thirty-Five Years Later». Nobelprize.org. Nobel Media AB 2014) Завдання 1. Яке з тверджень можна сформулювати на основі аналізу наведеного тексту?

А у хордових тварин ембріогенез регулюється,

лауреатів

група зазначила, що обидві сполуки діють шляхом

Тестові

1. Укажіть рівень організації живого, на якому

ція.

А молекулярний

Б клітинний

В організмовий

Г екосистемний

2. Процес індивідуального розвитку організму називають

А еволюцією

Б онтогенезом

В трансгенезом

Г ембріогенезом

3. Ембріогенез – це процес, який починається

А утворенням зиготи Б смертю організму

В статевим дозріванням Г виходом організму із

4. На рисунку зображено клітинний цикл.

Що позначено літерою Х?

А інтерфазу

Б метафазу

В анафазу

Г телофазу

5. Укажіть фізичний онкогенний фактор.

А віруси

Б бензопірен

В гербіциди

Г іонізувальне випромінювання

6. Як називають спосіб трансплантації, за якого реципієнт

нором для самого себе?

А аутологічна

Б гомологічна В гетерологічна Г міжвидова

Тестові

3

процес забезпечує

вегетативне розмноження

розмноження соматичних

Авітаміноз 89

Автотрофи 35, 67

Аденін 83

Аденозинтрифосфат (АТФ) 86

Аероби 35

Алель 128

Анаероби 35

Анеуплоїдія 152

Антикодон 127

Археї (Архебактерії) 21, 38

Асиміляція (пластичний обмін) 66

Ацетилювання 158

Бактерії (Еубактерії) 21, 37

Бактеріофаг 29

Білки 75

Біоінформатика 165

Біологічна номенклатура 20

Біологічна система 6

Біологічна систематика 19

Біологічний вид (вид) 22, 161

Біологія 6

Вакуолі 94

Везикули 93

Видоутворення 25

Віроїди 32

Віруси 27, 29

Вітаміни 87

Воски 74

Вуглеводи 71

Гаплоїдна клітина 119

Ген 118

Генетика 115

Генетична рівновага 162

Генетичний код 125

Генетичні маркери 116, 172

Генні (точкові) мутації 150

Генні хвороби 167

Геном 117

Геномні мутації 151

Генотип 128

Геотаксис 45

Гетерогамета 143

Гетерозигота 129

Гетеротрофи 35, 68

Гібрид 129

Гіпервітаміноз 89

Гіповітаміноз 89

Гістони 117

Глікопротеїни 77

Гомеостаз 10

Гомогамета 143

Гомозигота 129

Гормони 88

Гриби 21

Гуанін 83

Гуморальна регуляція 107

Дезоксирибоза 83

Дезоксирибонуклеїнова кислота (ДНК) 84

Денатурація 77

Деструкція 77

Детритофаги 70

Дивергенція 25

Дигібридне схрещування 130

Диплоїдна клітина 120

Дисиміляція (енергетичний обмін) 66

Дихання 96

Дрейф генів 24

Екзони 124

Екзоцитоз 92

Екологія 8

Екосистема 7

Експресія гена 123

Ембріогенез (ембріональний розвиток) 193

Ембріональна індукція 196

Ендоплазматична сітка (ЕПС) 93

Ендоцитоз 92

Енергетичний баланс 98

Енхансери 157

Епістаз 137

Еукаріоти 21, 41

Живе 9

Жири 74

Запліднення 188

Зчеплене успадкування 141

Ізоляція 25

Інтрони 124

Інфекційне захворювання 28

Капсид 29

Капсула 34

Каріотип 119

Клітинний цикл 183

Кодомінування 136

Комплекс Гольджі 93

Комплементарність 84, 138

Конвергенція 26

Кросинговер 122

Лейкопласти 94

Летальна дія гена 136

Лізосоми 94

Ліпіди 73

Медична біологія 15

Мейоз 122, 184

Метаболізм (обмін речовин) 10, 65

Метилювання 158

Мікроеволюція 25

Міксотрофи 68

Мінливість 115, 149

Мітоз 183

Мітохондрії 94

Множинна дія гена 139

Моногібридне схрещування 130

Моносахариди 71

Мутагенез 150

Мутації 149

Неповне домінування 135

Нервова регуляція 107

Неспадкова мінливість 155

Нуклеїнові кислоти 83

Нуклеоїд 34

Ознаки, залежні від статі 146

Ознаки, обмежені статтю 146

Олігосахариди 71

Онкогенні (канцерогенні) фактори 201

Паразити 35

Паразитизм 70

Паралелізм 26

Пенетрантність генів 139

Пентоза 83

Пептиди 77

Пероксисоми 94

Плазматична мембрана 34, 91

Плазміди 35

Полімеразна ланцюгова реакція (ПЛР) 116

Полімерія 138

Поліплоїдія 152

Полісахариди 71

Популяційна генетика 116

Популяційні хвилі 24

Популяція 24, 161

Природний добір 23

Пріони 31

Прокаріоти 21, 33

Промотор 119

Процесинг 124

Раціональне харчування 97

Регенерація 197

Ренатурація 77

Реотаксис 44

Репарація 153

Реплікація 121

Репродуктивна медицина 191

Рибоза 83

Рибонуклеїнова кислота (РНК) 85, 124

Рибосома 35, 93

Рослини 21

Самовідтворення 12

Самооновлення 10

Саморегуляція 10

Сантиморган 142

Сапротрофи 35, 38

Сапрофагія 70

Секвенування 116

Симбіонти 35

Симбіотрофи 69

Синдром Марфана 139

Систематика 19

Спадковість 115

Сплайсинг 124

Спори 36

Сталий (збалансований) розвиток 13

Статеве розмноження 122

Стероїди 74

Таксис 35, 44

Таксономія 20

Тварини 21

Термінатор 119

Термотаксис 44

Тимін 83

Токсичні речовини 105

Транскрипційні фактори 157

Транскрипція 123

Трансляція 127

Трансплантація 199

Урацил 83

Фенотип 128

Ферменти 78

Фермент-субстратний комплекс 80

Фітофагія 69

Фотосинтез 67

Фототаксис 44

Фототрофи (фотосинтетики) 35, 38, 67

Хемосинтез 67

Хемотрофи (хемосинтетики) 35, 38, 67

Хижацтво 69

Хлоропласти 94

Хроматин 117

Хромопласти 94

Хромосомні мутації 151

Хромосомні хвороби 167, 168

Цитозин 83

Цитоплазматичне успадкування 147

Цитоскелет 35

Чиста лінія 129

Ядерні пори 117

Ядро 117

1.Генетика : підручник / А.В. Сиволоб, С.Р. Рушковський, С.С. Кир’яченко та ін. ; за ред. А.В.Сиволоба. – К. : Видавничо-поліграфічний центр "Київський університет", 2008. – 32

2.Албертс Б., Брей Д., Льюис Дж и др. Молекулярная биология клетки : в 3 т.– М. : Мир, 1994.

3.Біологія : довід. для учнів 10, 11 кл. та вступників до ВНЗ / В. О. Мотузний. – К. : НАУ, 2004. – 156 с.

4.Грин Н., Стаут У., Тейлор Д. Биология : в 3 т. – М. : Мир, 1990.

5.Дарвін Ч. Похоження видів. – Х. : Державне видавництво сільськогосподарської літератури УРСР, 1949. – 443 с.

6.Сингер М., Берг П. Гены и геномы : в 2 т. – М. : Мир, 1998.

7.Campbell Biology. 11th Edition / Lisa A. Urry, Michael L. Cain, Steven A. Wasserman, Peter V. Minorsky, Jane B. Reece - Pearson, 2017 - ISBN 978-0134093413

8.http: // biology.org.ua

9.htpp: // my.science.ua

10.http: // nobelprize.org

11.http: // wikipedia.org (Нескінченне джерело інформації про все.)

12.Science Museum / SSPL https://blog.sciencemuseum.org.uk

13.The American Phytopathological Society https://www.apsnet.org/

14.Visual Science https://visual-science.com/

15.U.S. Food and Drug Administration https://www.fda.gov

16.Microbiology Online http://microbiologyonline.org

17.Schulz HN, Brinkhoff T, Ferdelman TG, et al Dense populations of a giant sulfur bacterium in Namibian shelf sediments // DOI: 10.1126/science.284.5413.493

18.Georget E., Kapoor S., Winter R., et al In situ investigation of Geobacillus stearothermophilus spore germination and inactivation mechanisms under moderate high pressure // DOI: 10.1016/j.fm.2014.01.007

19.Göker, M. et al. Complete genome sequence of Pyrolobus fumarii type strain (1AT) DOI: 10.4056/sigs.2014648

25.Archaeageddon: how gas-belching microbes could have caused mass extinction // Nature DOI:10.1038/nature.2014.14958

20.D. Kelley, University of Washington, Seattle, USA https://www.ethz.ch/

21.Servé W. M. Kengen ‘Pyrococcus furiosus, 30 years on’ DOI:10.1111/17517915.12695

22.Марков Александр | Рождение сложности: Эволюционная биология сегодня

23.http://moz.gov.ua/article/news/moz-ukraini-predstavilo-rekomendacii-zi-zdorovogo-harchuvannja

24.Bo Hong, Peter Reeves, Barbara Panning, et al Identification of an autoimmune serum containing antibodies against the Barr body // DOI:10.1073/pnas.151259598

25.https://commons.wikimedia.org/

26.Gordon JR, Brieva JC Images in clinical medicine. Unilateral dermatoheliosis // N Engl J Med DOI: 10.1056/NEJMicm1104059

27.Dan Hurley. Grandma's Experiences Leave a Mark on Your Genes May, 2013 http:// discovermagazine.com/

28.Ikram MK et al. Four Novel Loci (19q13, 6q24, 12q24, and 5q14) Influence the Microcirculation In Vivo. DOI:10.1371/journal.pgen.1001184

§

§

§ 5

§ 6 Віруси та їхня біологічна роль

§ 7 Пріони та віроїди

§ 8

§ 9 Різноманітність прокаріотичних

§ 10

§ 11 Одноклітинні еукаріоти

§ 12 Біорізноманіття рослин

§ 13 Біорізноманіття тварин

§ 14 Біорізноманіття грибів

органічного світу ...............................................................................57 Проект.

§ 31 Реалізація спадкової інформації: транскрипція та процесинг РНК ....123

§ 32 Реалізація спадкової інформації: синтез білків і формування ознак .....125

§ 33 Гібридологічний метод. Закономірності, відкриті Менделем

§ 34 Неменделівське успадкування ознак

§ 35 Зчеплене успадкування ознак

§ 36 Цитоплазматична спадковість

§ 37 Поняття про мінливість. Спадкова мінливість

§ 38 Модифікаційна мінливість

Лабораторна робота. Вивчення закономірностей модифікаційної

мінливості

§ 39 Регуляція активності

§

§ 49 Ембріогенез людини.

Малюнки

Арсеній

Марія Корбуш Художник обкладинки Ірина Медведовська Комп’ютерна верстка Анастасія Ткач

Колаж на с. 4 Марія Корбуш

Підписано до друку 15.08.2018. Формат 70100/16. Папір офсет. Гарнітура Шкільна. Друк офсет. Умов. друк. арк. 17,55. Тираж 5000 пр. Зам №

Виготовлено згідно із СОУ 22.2-02477019-07:2007

Учбово-видавничий центр «Школяр» 02094, Київ, вул. Сергієнка, 18 Свідоцтво ДК № 360 від 14.03.2001 р.

Тел.: (044) 599-64-48, 066-061-01-76, 067-209-60-80 www.shkolyar.com.ua E-mail: shkolyar_info@ukr.net

Віддруковано на ПАТ «Білоцерківська книжкова фабрика», 09117, м. Біла Церква,

Turn static files into dynamic content formats.

Create a flipbook
Issuu converts static files into: digital portfolios, online yearbooks, online catalogs, digital photo albums and more. Sign up and create your flipbook.