
















Finding a home at Taylor means more than access to a stunning new cottage or apartment – it means receiving the keys to present and future peace of mind.
Taylor Community is located in the beautiful Lakes Region of New Hampshire with campus locations in Laconia, Wolfeboro, and Meredith. Whether you prefer an active lifestyle lled with tness classes and an extensive lineup of social and recreational opportunities, or would rather enjoy a ne dining experience with friends after a day spent by the lake... Taylor is the place for you!
110 Grill
92.5 The River
Airfield Café
Karen Bachelder
Bank of New Hampshire
Bird Dog Cider
Casamigos
Celebrations Catering
Chang Thai Café
Coca-Cola Beverages Northeast
Constantly Pizza
Coppal House Farm
Copper Door
Dobel Tequila
Don Quixote Peanut Butter
Double Midnight Comics
Elevated Eats NH
Flag Hill Distillery & Winery
Flight Coffee Co.
Fresh AF Bakery
Go Ninja
Gondwana
Harvey & Harriet
Jimmy Dunn
JSJ Aesthetics
Junction 71
Klemm’s Bakery
League of NH Craftsmen
LED Marquee Southern NH
Little Village Toys
Megapixlz Media
Mica’s Groove Train
Mr. Mac’s
New England’s Tap House Grille
New Hampshire Food Bank
New Hampshire Travel & Tourism
NH Doughnut Co.
NHPBS
On the Rocks
Patrick’s Pub
Penelope Bourbon Playa Bowls
Port City Pretzels
Pours & Petals
Queen City Cupcakes
Red Arrow Diner
Samuel Adams
Sig Sauer Academy
Surfside
Take Five Dog Care
THAT! Event Company
The Common Man
The Old Farmer’s Almanac
The Peddler’s Daughter
The Potato Concept
The Tuckaway
Tito’s Handmade Vodka
Van Otis Chocolates
Woodstock Inn Brewery
XO Custom Cookies
8 Editor’s Note
8 Contributors
36 Harvest to Half-shell
Now the fastest-growing seafood industry in NH, oyster aquaculture is an alternative to wildharvest marine fisheries, which have been declining.
By Jill Armstrong, Photos by Joe Klementovich
48 New Hampshire Magazine Reader Photo Contest
Our three judges picked standouts from 300+ entries that captured the Spirit of New Hampshire.
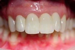
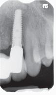
60 Top Dentists 2025
The annual Top Dentist list showcases excellence in dental care. See which New Hampshire dentists were voted by their peers as the most trustworthy.
12 The Big Picture Wagon Hill sunsets in Durham reflect the beauty of the season.
Photo by Michael Blanchette
14 Our Town
In Rye, the past meets the present, often on the beach.
By JL Stevens and Dan Tuohy
20 Food and Drink
With toes in the sand and a lobster roll in hand, the Hampton Beach Seafood Festival celebrates the Seacoast.
24 Community
The Lake Estate on Winnisquam sees diamonds and stars in its future.
By Mike Cote
30 Q&A
In Their Own Words with Katrina Cruess, a Bedford mom who makes flutes sound sweet
By Mike Cote
34 What Do You Know? No Crampons on the Porch
By Marshall Hudson
92 Living Nutrient-rich compost enriches soil and nourishes plants.
By Karen Jamrog
98 Out and About Calendar of events
Compiled by Elisa Gonzales Verdi
102 Healthwise
Class of 2025: The kids are going off to college — how are parents coping?
By Krysten Godfrey Maddocks
104 Live Free
A Quiet Hero
By Brion O’Connor
SPECIAL ADVERTISING
66 Dentist Profiles
You will still find our hilltop hideaway at the end of the winding dirt road. Lighten your spirit as you step out of your world and into ours. Welcome to Pickity Place. Call us for dining reservations. Have a Pickity Day!
Girls Inc. of New Hampshire 1711 South Willow St. #5 Manchester, NH 03103 (603) 606-1705 www.girlsincnh.org
Vice President/Publisher Ernesto Burden 603-624-1442 x5117 ernestob@yankeepub.com
Editor Mike Cote 603-624-1442 x5141 mikecote@yankeepub.com
Managing Editor Emily Heidt 603-624-1442 x5115 eheidt@nhmagazine.com
Managing Editor, Sarah Pearson 603-624-1442 x5128 Custom Publications sarahekp@yankeepub.com
Assistant Editor Elisa Gonzales Verdi 603-624-1442 x5010 egonzalesverdi@nhmagazine.com
Assistant Editor Emily Reily 603-624-1442 x5119 emilyr@yankeepub.com
Art Director John R. Goodwin 603-624-1442 x5131 johng@yankeepub.com
Creative Services Director Jodie Hall 603-624-1442 x5122 jodieh@yankeepub.com
Graphic Designer Christian Seyster 603-624-1442 x5116 christians@yankeepub.com
Senior Graphic Nicole Huot 603-624-1442 x5116
Production Artist nicoleh@yankeepub.com
Director of Business Jenna Pelech 603-624-1442 x5154 Development jennap@yankeepub.com
Sales Executives Josh Auger 603-624-1442 x5144 jauger@nhmagazine.com Jessica Schooley 603-624-1442 x5143 jessicas@yankeepub.com
Operations Director Ren Chase 603-624-1442 x5114 renc@yankeepub.com
Sales & Events Coordinator Paul Milone 603-624-1442 x5121 paulm@yankeepub.com
Business & Sales Coordinator Paula Veale 603-624-1442 x5110 paulav@yankeepub.com
Digital Operations Morgen Connor 603-624-1442 x5149 and Marketing Manager morgenc@yankeepub.com
Information Manager Gail Bleakley 603-563-8111 x113 gailb@yankeepub.com
Assistant Controller Nancy Pfuntner 603-563-8111 x138 nancyp@yankeepub.com
VP/Consumer Marketing Brook Holmberg brookh@yankeepub.com
VP/Retail Sales Sherin Pierce sherinp@yankeepub.com
250 Commercial Street, Suite 4014 Manchester, NH 03101
603-624-1442, fax 603-624-1310
E-mail: editor@nhmagazine.com
Advertising: sales@nhmagazine.com
Subscription information: Subscribe online at: nhmagazine.com or email customerservice@nhmagazine.com
To order by phone call: 877-494-2036
© 2025 Yankee Publishing, Inc.
New Hampshire Magazine® is published by Yankee Publishing, Inc., 250 Commercial Street, Suite 4014, Manchester, NH 03101, 603-624-1442. All rights reserved. Reproduction in whole or in part without the written permission of the publisher is prohibited. The publisher assumes no responsibility for any mistakes in advertisements or editorial. Statements/ opinions expressed herein do not necessarily reflect or represent those of this publication or its officers. While every effort has been made to ensure the accuracy of the information contained in this publication, Yankee Publishing, Inc.: New Hampshire Magazine disclaims all responsibility for omissions and errors. New Hampshire Magazine is published monthly, with the exception of February and April.
USPS permit number 022-604. Periodical postage paid at Manchester 03103-9651. Postmaster send address changes to: New Hampshire Magazine, P.O. Box 37900, Boone, IA 50037-0900
PRINTED IN NEW HAMPSHIRE
IN THE CULT FILM, “Brother from Another Planet,” an escaped extraterrestrial slave played by Joe Morton has the ability to make a drug dealer see through his eyes the havoc that substance abuse inflicts on people. It’s a scene that has been burned into my memory ever since I saw the lowbudget 1984 sci-fi film.
I’ve always wondered what it would be like to have that power. But I would use it to transfer visions of joyful experiences. That’s an odd way to wade into a column about the wonders of summer, but I can’t be held responsible for the strange turns my mind takes. (Besides, “Brother,” directed by John Sayles, is hilarious in stretches.)
In just one week in late June, I packed in nearly a season’s worth of fun and adventure. That music was at the heart of it, with a sizzling soundtrack at every turn, should surprise no one who knows me.
SUNDAY: My wife, Jeannie, and I expected the big highlight of our day would be a birthday party for our 6-year-old granddaughter. The theme for Vivian’s party was the film and musical “Wicked,” which prompted me to say “wicked awesome!” a few times too many. That night, we found ourselves gently swaying with 12,500 other humans in Manchester during the final night of Phish’s three-day stand at SNHU Arena, thanks to a last-minute decision to snag tickets with my stepdaughter, Lauren, and her husband, AJ (who also attended the Saturday night jam band show with their friends.)
TUESDAY: For the second time, I went “over the edge” with the United Way of Greater Nashua, rappelling down the south side of the 24-story Brady Sullivan Plaza — in 95degree heat — to raise money for local nonprofits, and for bragging rights for conquering the tallest building in the state. (OK, maybe that kind of adrenaline rush might be too intense an emotion to inject into someone else.)
WEDNESDAY: After spending a couple of hours setting up tables for New Hampshire Magazine’s Best of NH Party with my co-workers at Flag Hill Distillery & Winery in Lee, my older brother, Steve, and I took in the Prescott Park Arts Festival, headlined by Fantastic Negrito, a dynamic performer who conjures the spirit of Sly Stone, Prince and James Brown. (New Hampshire Magazine is a sponsor of the summer concert series in Portsmouth).
THURSDAY: Prior to the arrival of guests at the Best of NH Party, I spent two hours driving a golf cart to and from a parking lot, shuttling food and drink vendors as well as the leader of our featured band. Mica’s Groove Train entertained guests with their high-energy R&B, blues, funk and soul from inside the big tent so they could be sheltered from the rain (which thankfully relented.) In honor of singer and keyboard player Yamica Peterson, I christened my golf cart “The Groove Train.”
SATURDAY: Jeannie and I dined in downtown Manchester and then headed to the Rex Theatre to catch a show by the Scott Spradling Band. Spradling, a WMUR news veteran who now works as a media consultant, led his big band through a collection of hits culled from the movies. Everything sounds better with a horn section.
END NOTE: One of my fellow “edgers” at Brady Sullivan Plaza on June 24 was Heidi Cloutier, director of Collegiate Recovery at the University System of New Hampshire. The program she oversees helps college students make informed choices about alcohol and other drugs at college campuses in Durham, Manchester, Plymouth and Concord. Cloutier was raising money for food and engagement activities that her university funding doesn’t provide.
Freelance writer and frequent contributor Krysten Godfrey Maddocks wrote this month’s Health
for
We suggest a movie night featuring “Brother from Another Planet.”
THE JANITOR WITH STAMINA AND THE “MAYOR” OF HAMPTON BEACH
COMEDY ON THE COAST AUGUST 1
Bring your wedding menu visions to
Whether you’re looking for a formal reception, or something more laid back, Mezzanine Catering is here to help — from their Chef Composed plates, to their A La Carte menu options, no request is too big when it comes to catering to their wedding couples. They will help build a dream menu and make sure the food is unforgettable. Additionally, their talented pastry team can create a stunning cake or any other delicious desserts to put the finishing touch on a perfect day.
They also specialize in cocktail engagement parties, formal or casual rehearsal dinners, welcome events, celebratory send-off brunches, and anything else that their clients could want for a memorable wedding weekend.
With thoughtful, unobtrusive service, they will ensure that you feel like a guest at your event!
www.mezzaninecatering.com
Send letters to Editor Mike Cote, New Hampshire Magazine, 250 Commercial St., Suite 4014, Manchester, NH 03101, or email him at editor@nhmagazine.com.
We are still coming down from the Best of NH Party high as this issue hits your hands — it was a B.L.A.S.T. Thank you to everyone who attended (all 600+ of you), and a special shout out to our graciously amazing hosts, Brian Ferguson and the team at Flag Hill Distillery & Winery.
From our sponsors to our vendors to our volunteers and entertainment, we are so grateful for everyone who played a part in making the night filled with everything we love about the Granite State.
The food, the drinks, the camaraderie and the celebration are all why we do what we do. It’s all thanks to and fueled by you! Until next year...
Spot FOUR newts like the one here, hidden on ads in this issue, tell us where you found them and you might win a gift certificate for $50 to use at The Common Man Restaurants. Each month’s gift card will be different, which adds to the overall Newt fun. Let the hunt begin!
To enter our drawing for Spot the Newt, visit spotthenewt.com and fill out the online form. Or, send answers plus your name, email address and mailing address to:
Spot the Newt c/o New Hampshire Magazine 250 Commercial St., Suite 4014 Manchester, NH 03101
You can also email them to newt@nhmagazine.com.
Last month’s “Spot the Newt” winner is Ellen McGuire of Hillsborough, NH. July issue newts were on pages 19, 21, 92 and 93.
“Wagon Hill Farm is a 139-acre property acquired by the town of Durham in 1989 to preserve the place. The farm includes a historic wooden wagon at the top of the hill — a local landmark recognized far and wide. I came here for sunset one late autumn and was rewarded with fabulous sky color once the sun had crossed below the horizon. I positioned my camera on tripod partway down the hill to include the vibrant sky as backdrop to the iconic wagon.”
STORY AND PHOTOS BY JL STEVENS AND DAN TUOHY / ILLUSTRATION BY PETER NOONAN
Rye is more than mansions along 1A and seafood from Petey’s or Ray’s. It’s home to more than 5,500 residents and even four small islands 7 miles out to sea. But what makes Rye — well, Rye?
Alex Herlihy, the town historian, who also spent many years as a history teacher before that, knows a thing or two.
Part of the allure is the “beautiful serpentine beaches,” which he says at one point made the town as famous as Newport, Rhode Island.
“Rye is the oldest community in the state, in spite of what Portsmouth says. But the thing is, of course, there was no Rye and no Portsmouth, there were native people. And then these interlopers come in 1623, and landed at Odiorne Point, and the rest is history, sort of.”
So entrenched is Herlihy in history, he’s on the verge of publishing a new history of Rye’s 400 years. The 80-year-old is a Rye native. His mother, Jessie Herlihy, founded the
town’s historical society. And, of course, he lives in a historic house.
What story does Herlihy think best captures the heart of Rye over the years?
Is it the story of Rye’s 1970s fight to stop Aristotle Onassis and Olympic Oil? Is it the urban myth that ’70s icon Farrah Fawcett once lived in the tower house on Route 1A?
“What stories? I’m going to say it’s ‘Parson’s Park,’ ” Herlihy says.
The cover of his forthcoming book on Rye pictures the late Esther Parsons standing in her field, holding a piece of apple pie.
“Esther Parsons represents the past, present and future,” he adds.
Parsons was one of the founding 44 families. In the 1970s, she’d loan use of her field for Fourth of July parties. The Bicentennial in 1976? Best party the town’s ever had, he says. And when she was thinking of selling her land to a developer, neighbors and friends inspired her to convey the land to
a group and then to the town for recreation and public use.
Aside from that conservation win, Herlihy says, Rye won a geographic lottery.
“Our location is this north-south, eastwest access. If you think about it, there have been native peoples coming and going from inland to the sea, up and down the coast, because they had sailing vessels, they fished, they went out to the shoals and fished.”
The east-west travels became more of a thing with European settlers, he says. And then a resort community in the midto-late 19th century. A trans-Atlantic undersea telegraph cable followed in 1874. And people from all over the world came here on vacation.
On a busy beach day in 2025, it may only feel like people from all over the world are also hitting the waves, exploring Odiorne
Point, and checking out our local shops and eateries — La Mulita Coffee, The Ice House, Atlantic Grill and Carriage House to name just a few.
Just down from Wallis Sands State Beach, Kooks Cafe and Beach Bar is one of those local businesses. They serve breakfast, bowls and smoothies and tacos, among other enticing menu options. You can order the Rye Tai, or maybe a Dark & Stormy.
You can also get some community.
Giorgia Nagle, owner and operator of Kooks for seven years, welcomes a steady stream of visitors and longtime locals. And beach bums. And surfers — whether new or old-school. The name of her business is a fun tribute to a surfing term.
“Kooks itself is slang for a crummy surfer, poor surfer,” Nagle says. “And I’m not from New Hampshire, and I’m not from Rye. I call Rye home now, but I migrated this way after college and landed on the Seacoast. And thought Kooks was an appropriate term because I was about to open a surf bar and I didn’t surf, so it felt appropriate to kind of name it like a little kooky.”
Nagle, who is still trying to learn to surf, has some fun with the name, but she’s serious about the business, and it is seriously popular.
“You know, this strip used to have a ton of options, and it’s really changed over the years, and it’s very important to me to preserve what’s left for that and for the community, because a lot of people want to live here. It’s a really beautiful town, and there’s not really that many options.”
Some of that change: Back in the ’60s,
Kooks was Surf Haven Pizza, according to Herlihy, the town historian. He used to go there back in the day. These days, he sometimes goes to Kooks.
Some 3 miles south of Kooks, you can find Ryan and Tyler McGill, brothers who are expert surfers. Their love for surf inspired them to open Summer Sessions surf shop across from Jenness State Beach in 2002. They each have surfed around the globe. But the stretch of sandy beaches in Rye where they learned to surf remains their passion.
Tyler McGill, 42, says it’s a great place to learn to ride the waves. Their shop offers sales and rentals and lessons, and is admittedly a bit of a vibe for the beach. In high school at Portsmouth High, he said there were few people their age who surfed.
Times sure have changed. The Summer Sessions’ kids surf camp is bustling each summer – and about half of the young surfers are girls, he says.
“We feel an enormous amount of pride in having built this business,” Tyler says. “For me, the biggest thing about Rye is the people.”
South of Jenness beach and near the Rye Beach Club, founded in 1925, there’s a historical marker remembering Rye’s historic hotels. One of them is the Oceanic Hotel,
still out at Star Island. Another is located across the street. The Drake House, owned by fourth-generation proprietor Frank Drake, was once a 40-room summer hotel. It was converted to apartments in the late 1960s. And Drake and family still erect a giant U.S. flag from the rooftops each Independence Day — a tradition that dates back to the World War II era.
The Ocean Wave, the Atlantic House and the grand Farragut Hotel are long gone — as are scores of boarding houses that dotted the neighborhood.
Drake is a commissioner of the Rye Beach Village District, which is known for its “lollipop” street lights in the general area of the Rye Beach Post Office. The semi-rural character of the town is harder to see these days, though there are still some big, open fields, he says.
The summer days of Frank Drake’s youth featured brook trout fishing, hide-and-seek and plenty of time in the sand. The beach remains his summertime passion. Long-gone days of football on the big lawn have made way for bocce on the beach.
“People say, ‘Where you going this summer?’ ” Drake says when asked about his favorite part of Rye. “Across the street. Why would I go anywhere? I’m blessed to be right here. I don’t need to go anywhere.”
Locals like to josh with visiting family and friends that Rye is “midcoast”. It’s true, and also subtle fun at New Hampshire’s modest territory on the Atlantic. The town’s coastline, over 8 miles, is the longest of any community in the state. And there’s another 850 acres of salt marsh.
Star Island and Gosport Harbor represent the easternmost point of New Hampshire. The westernmost part includes Lago’s Ice Cream on a stretch of Route 1. Lunging, Seavey and White islands also belong to Rye. From the mainland, they can look like they’re close by, though they are 7 miles away. On certain days, when the atmospheric conditions are just right, keep an eye out for what’s called the Fata Morgana effect, a thermal inversion, which makes the isles
appear distorted, or look like they are hovering above the surface of the sea.
The views and the sunsets can be mesmerizing. They are just as majestic for those looking west from the Isles of Shoals, says Joe Watts, CEO of Star Island Corp.
Watts oversees what he calls “a summer camp for people of all ages where everyone is welcome.” Star has offered that all-inclusive summer camp for the past 100 years.
Watts has served as CEO since 2012, but has worked on the island since 1987. He traveled there with his parents for a conference — Life on a Star — in 1981. Now he spends about three months a year on the island, which was annexed to Rye in 1876.
While Watts has a special place in his heart for Wallis Sands State Beach — where he proposed to his wife, Brenda, 24 years ago — he says Star Island is undoubtedly the best place in Rye for recharging and relaxing.
“The absolute fun thing,” Watts says, “is to watch the sun set over Rye. It’s different — where you look out over the land, we see it over water.”
No matter who you talk to, you can’t escape the natural beauty of Rye, a town locals are all lucky to call their own — more so in the summer months, when the beach and the bocce balls call. NH
When you’re out and about this summer, visit our Proven Winners’ Display Garden which features plants growing in magnificently designed showcase displays. Whether you’re a garden enthusiast, club member, or landscape professional, all are welcome to explore and be inspired. Immerse yourself in the beauty of Proven Winners plants.
With your toes in the sand and a lobster roll in hand, the Hampton Beach Seafood Festival celebrates the Seacoast
BY ELISA GONZALES VERDI / PHOTOGRAPHY BY MATT PARKER PHOTOS
There’s little else that says “Summer in New England” than fresh seafood. It’s just not summer without lobster rolls dripping in warm butter, fresh oysters chilled with a splash of lemon and sweet, crunchy popcorn shrimp.
Seafood in all its forms is quintessential to coastal New England cuisine, and it sends hungry diners flocking to the coast year after year. Locals look forward to visiting their “if-you-know-you-know” spots, and tourists count down the days until they can dine at their favorite annual eateries.
One thing is for sure — New Englanders, both seasonal and year-rounders, love seafood. For the past 36 years, this beloved regional cuisine has been celebrated in style at the weekend-long Hampton Beach Seafood Festival.
“The Hampton Beach Seafood Festival
was started by local business owners on the Hampton Beach Boulevard who saw that summer continues past Labor Day,” says Colleen Westcott, director of events and marketing at the Hampton Area Chamber of Commerce. “We have these beautiful days in September, and (the business owners) got together and decided to highlight the seafood available here on the Seacoast.”
While the festival’s first few years were small and attendance was local, its popularity has boomed, and the festival has grown into a three-day event that sees anywhere from 80,000 to 100,000 visitors from all over the United States and Canada.
“It’s grown from being a Seacoast celebration to (being) the largest festival on the Seacoast,” says Westcott, who is on the festival’s planning committee.
With its long history, Westcott has noticed
that the Seafood Festival has become a summertime family tradition that spans generations. The safe, family-friendly environment makes the festival perfect for all ages.
Westcott has spoken to attendees, who grew up going to the festival with their parents, who are now bringing their children.
“I love seeing the generations of people who have enjoyed the Seafood Festival,” says Westcott. “You have toes in the sand, and a lobster roll in your hand, listening to good music. I mean, when else do you have that?”
The weekend-long festival has non-stop activity. Attendees can enjoy live music and entertainment on two prominent stages, a variety of food vendors to satisfy any taste (including those who might not like seafood), desserts, live cooking demonstrations with local chefs, a lobster roll eating contest, local
artisan booths and more. Westcott means it when she says there’s something for everyone, especially foodies, to enjoy at the festival.
The two-day culinary tent Saturday and Sunday is one of the festival’s big draws. Hosted by Wicked Bites’ Scott Whitley, the culinary tent offers live cooking demonstrations from local chefs. Visitors at the culinary tent can learn new recipes, sample the presenting chef’s creations and ask questions.
“We always have great restaurants and put on a great show,” says Whitley. “We’ve been doing this for over a decade, and it’s grown every year.”
Starting at noon, Wicked Bites, and their phenomenal 125-person tent staff, have 10 to 12 chefs lined up to do a demonstration
every 45 minutes. Each year brings new presenting chefs and new recipes. In past years, the recipes shared have varied, from Italian dishes to classic seafood, to comfort food and, one year, alligator.
Whitley promises an educational and entertaining experience for everyone who steps into the culinary tent.
The festival’s main food tent is another fan favorite. There, you’ll find dishes from some of the Seacoast’s favorite restaurants.
“There’s a whole array of food,” says Westcott, who notes that this year’s festival attendees will be able to enjoy tastings from the Old Salt, the Purple Urchin, Deadproof Pizza, Brown’s Seafood Lobster Pound, Clyde’s Cupcakes, Lupe’s 55, Wing-Itz, Big Bad Barbecue, local Scout troops and more.
While celebrating the Seacoast, the festival also acts as a fundraiser to give back to the community, donating an average $25,000 to local nonprofits and community organizations.
“This event helps support our community and the nonprofits that carry our community year after year,” Westcott says. “After the event is done, we have the pleasure of presenting checks to local nonprofits and organizations.”
After a full year of preparation that begins the week after the previous year’s festival concludes — including building a mini city on Hampton Boulevard — Westcott gets to revel in her favorite moment.
“I love the feeling of it, when everything’s set and everything’s rolling,” Westcott says.
On opening day, she’ll walk the festival top to bottom several times, checking and ensuring that everything is running smoothly. It’s then that she gets to take it all in.
“I’m doing that walk and I see somebody having the best time,” Westcott says.
“I see kids having fun, enjoying the sand as their parents eat a lobster roll. I see the culinary tent packed, and people learning new things from a local chef. When I see people having fun, when I see them smiling, when I see somebody bite into a lobster tail on a stick, and the butter drips down their chin… it makes me so happy. It’s so summer, and so is the Seafood Festival.” NH
The Hampton Beach Seafood Festival, sponsored by M&T Bank, will be held Sept. 5-7. Visit seafoodfestivalnh.com for more information.
BY MIKE COTE / PHOTOGRAPHY BY JOE KLEMENTOVICH RENDERINGS COURTESY OF THE LAKE ESTATE ON WINNISQUAM
Dan Dagesse is betting $90 million his new luxury resort in Tilton will become a New England destination for generations to come.
The Colebrook native arrived at The Lake Estate on Winnisquam by way of The Balsams. Starting as a teenager, Dagesse worked several years at the Dixville Notch resort washing dishes, making salads, operating the elevator, whatever they asked to him to do.
“Waiter. Maître D’. Elevator operator. Doorman. I’ve done it all. I kind of fell in love with the property, and I was hurt when the Balsams shut down,” Dagesse says during a Zoom call.
Years later, after amassing a fortune operating automotive dealerships in several states, Dagesse bought the North Country property with Colebrook contractor Dan Hebert for $2.3 million in 2011 and planned to revive it. But escalating costs and other factors led both him and Hebert to sell their stakes to developer Les Otten.
That ended Dagesse’s interest in the Balsams, but not for developing a grand resort in New Hampshire. Actually, Dagesse was considering building a hotel on the Tilton site, now home to The Lake Estate on Winnisquam, when he connected with Ed Rocco, a long-time hotel executive who convinced
him that a luxury resort would be a better use of the 36-acre property.
Rocco, who signed on as Winnisquam’s general manager, is a part-owner of the resort with his wife, Patti, a fellow hospitality veteran who will serve as estate manager. The Roccos recently relocated from Massachusetts to the Lakes Region, where Patti grew up.
“I want them to have skin in the game. They’re great people,” says Dagesse, who is bankrolling most of the project himself.
He recruited Hebert’s company to be the lead contractor. More than a dozen New Hampshire companies are working on the project.
When it officially begins greeting guests in September, The Lake Estate on Winnisquam will strive to become New Hampshire’s first Forbes Five-Star and/or AAA Five-Diamond rated luxury property.
The 114-room luxury resort, which includes 18 suites, was designed by SamynD’Elia Architects of Holderness, and is modeled after grand private lake estates.
Amenities include multiple dining rooms, a wedding and events center, a 5,000-square-foot spa, two private beaches, four pickleball courts and a tennis court, an apple orchard and a flower garden.
The 150,000-square-foot resort features room and suite doors made of solid wood that cost about $2,500 each. During construction, paper signs posted on them listed their prices, warning workers to be careful not to scratch them.
Those doors underscore the upscale traveler the resort is targeting: People who expect 10 to 12-foot ceilings, and spacious rooms, which range from 450 feet to 1,100 square feet.
Rates range seasonally from $399 to $1,900 for a two-bedroom suite (in high season) per room, per night based on double occupancy. In addition to the room rate, there is a $45 daily resort fee plus the 8.5% New Hampshire rooms and meals tax.
Dagesse, who co-founded the Nucar family of 30 auto dealerships with one of his sons, blames himself for many of the
expensive touches that have been driving up costs for a project he originally thought was going to cost $40 million.
“OK, I said I don’t want any debt, so I’ll agree to it. They get going and then they show me this and they show me that,” Dagesse says. “And I’m saying, ‘Oh geez, I don’t want that. I want solid doors that are, you know, 2.5 inches thick.’ I don’t want the cheap glue on doors.”
The path to the coveted five-star and five-diamond designations includes exacting specifications. Those theft-proof wooden hangars with steel rings? Patti Rocco ordered replacements after a housekeeper who used to work at the Cliff House, a luxury resort in Cape Neddick, Maine, told her that only free-standing hangers would make the cut.
(The Cliff House secured a four-star rating
from Forbes for the first time in 2023 and has been a four-diamond AAA property since 2001, still a star and a diamond shy of the zenith.)
High-end fixtures are the standard, even for garbage cans.
“Our designer keeps coming up with these beautiful baskets for under the vanity and these leather-bound trash barrels and stuff,” Patti Rocco says during a tour of the property in late April as the sound of machinery interrupted conversation.
Construction vehicles were scattered across parking lots that soon will be filled with guest vehicles and rental cars. While the exterior of the resort looked nearly complete, there was still much to do to complete the finishing work inside.
“We have 175 people in the building right now. We have 37 finish carpenters,” Ed Rocco says. “And when you see all the millwork in here, you’re going to understand why we have 13 miles of crown molding in the hotel. We have something like 68 vertical columns in the hotel. We’ll probably put a little recipe book at the end of what it took to build it.”
The marathon to build the Winnisquam from scratch is a “retirement” gig for the Roccos. Ed Rocco had a long career with Marriott and most recently was working for the Boston Marriott Long Wharf as general manager. He had been looking for an exit plan and was getting tired of driving to Boston every Monday.
“This journey actually started about five years ago. I said to Patti, ‘I still have a lot of fuel in the tank, but I don’t want to go to Boston,’ ” he says during a talk in a construction trailer at the work site.
They were looking for an existing business to buy or property to build a new one when their Realtor connected the Roccos with Dan Dagesse and his wife, Elaine. The couples soon learned were they were neighbors on Lake Winnipesaukeem in Gilford.
“We didn’t know them. They didn’t know us. And we’ve been on the phone with them three times a week ever since. And I said to myself, ‘Boy, you can’t make this stuff up,’ ” Ed Rocco says.
The couples learned they had a lot of shared interests — including wanting to build “something of really beautiful quality.”
The Degasses also own homes in Florida and outside Washington, D.C.
“ These are beautiful estates. And what he and Elaine typically do is they’ll bring an interior decorator in and they redesign,” Ed Rocco says.
When they started talking about The Lake Estate, the caliber of resort they were envisioning was at the level of Four Seasons, Ritz-Carlton and St. Regis.
“Patty and I started traveling. We started staying at Ritz-Carltons, and we went to Europe and stayed in some beautiful places,” Ed says.
The resort, which stretches out over 37 acres, replaces three dozen rustic cabins that were still commanding pricey summer rentals at the former Anchorage at the Lake, even with leaky roofs, in large part due to the families that would return every summer.
The Lake Estate aims to build on that legacy, albeit in high style. Before even contracting with a marketing agency, the resort hired Fuel Hospitality, a strategic branding company based in Milwaukee that works with independent hotels and restaurants.
“They flew out a few times. They met with some historians from Tilton, and they put a 38-page style guide together for us,” Ed Rocco says. “That really became our bible, and it’s still our bible. Within that, there are four distinct colors that are colors unique to us.”
Dining at the resort also aspires to be
unique, thanks to “Top Chef” alumnus Chris Viaud, who will serve as the resort’s director of culinary arts chef, overseeing its restaurants, in-room dining, wedding and banquet business, and public events.
Viaud, who operates Greenleaf in Milford and Pavilion in Wolfeboro, is known for championing local ingredients.
“I definitely always like to focus on new American cuisine,” Viaud says during a visit to The Lake Estate. “That allows me the flexibility to take my inspiration from traveling and food that I like to eat, incorporating local ingredients and presenting them in a way that’s exhilarating and exciting and unique.”
What’s in season locally helps to dictate what’s on the menu, he says.
“We definitely love to source from the local farms around and help to really tell their story on a plate.”
Viaud will lead a team of four chefs, plus line cooks, prep cooks and bakers. The pastry chef is his wife, Emily.
“She runs her own company as well. Over the course of the years, she’s worked side by side with me within my restaurants,” Viaud says. “So it’s kind of just the next big venture for us together as a couple, and as professionals in the industry.”
It seems couples are a big theme at The Lake Estate on Winnisquam. NH
Katrina Cruess is in the business of making sure flutes sound sweet
BY MIKE COTE / PHOTOS BY JODIE ANDRUSKEVICH
On a sunny spring day outside the Bedford home of Katrina Cruess, songbirds are chirping in the trees. While they provide a fitting soundtrack for the kind of work Cruess does repairing flutes, the connection between the birds and the woodwind instruments is profound. A couple of years ago, scientists in Israel discovered seven 12,000-year-old flutes
made from tiny bird bones. They were likely designed to imitate the calls of birds of prey, according to Smithsonian Magazine. The bones had finger holes and mouthpieces, transforming them into crude musical instruments.
The flutes that Cruess works on have moving parts, need expert maintenance and cost a lot more than bird bones.
Before she set up Sweet Sounds flute repair at the home she shares with her husband, Dylan, Cruess studied music education and worked for companies that made handcrafted instruments that started at $10,000. Her first gig, in 2013, was working as a “flute finisher” with the William S. Haynes Flute Company in Acton, Mass. Founded in 1888, it’s the oldest flute-making company in the world.
Cruess worked for the company full-time while earning her master’s degree at the University of Massachusetts Lowell, which she completed in 2015.
“You get to play everything you make,” Cruess says. “I ended up making some that were $40,000 that are instruments that I’m not going to own.”
Some were destined for fame and fortune, including with an Irish virtuoso flute player from Belfast.
We were making instruments for professional flute players in orchestras like the (Boston) Pops and orchestras in Europe. We had famous musicians come in; James Galway came in one time. It was really cool to enter that world.”
On this particular morning, Cruess is sharing her workshop with her 7-monthold daughter, Charlotte. Charlotte makes musical sounds all her own in a baby seat while her mother explains how to repair flutes, demonstrating the precision machinery, tools and parts she uses to ensure each instrument leaves her shop in optimal performance shape, whether for a college jazz band or symphony orchestra.
Cruess left her most recent job, making and repairing flutes at Burkart Flutes & Piccolos, in Shirley, Mass., to be a stayat-home mom for her daughter and her 13-year-old son, Lucas.
“It was a difficult decision to leave a job that I loved, but to be more available to my children is the most important and rewarding thing I could do,” Cruess tells us later over email. “This area is in need of a flute repair specialist, so I’m glad I could fill that void and help my community.”
The Sweet Sounds website (sweetsoundsfluterepair.com) reads like an auto repair business, offering “minor adjustments to complete overhauls.”
There’s also equipment that only flute players would be familiar with, such as Straubinger and Pisoni flute pads, which act
as seals between the keys and the flute’s tone holes. (They are made to precise specifications from felt and synthetic micro suede.)
New Hampshire Magazine: What is the typical work you do on a flute?
Katrina Cruess: This a flute I’ve already kind of worked on. I’ve replaced all of the pads, but most of the time when I’m working on flutes, it’s a thing called a “clean oil adjust.” That’s what a lot of students will bring in from colleges. I’m basically just taking everything apart, cleaning everything out with alcohol and re-oiling it, and then I’ll make sure that everything closes the way it
should close and seal the way it should.
NHM: So, it’s not a user-serviceable instrument. They need a professional, right?
KC: People should get their flutes serviced depending on how much they play. They should get their flute clean oil and adjusted once a year.
NHM: Do you have to get these parts from a specific place that makes repairs?
KC: I actually just got my Straubinger pad certification. It was a three-day online Zoom class. Now I’m allowed to order their pads, and they’re in Indianapolis. There are also pads that you can get from Italy (Pisoni). There’s a couple of different companies in the U.S., but they’re more used on student instruments.
NHM: How long is the process when someone brings in their flute for maintenance?
KC: For a clean oil adjust, it can take a few hours. It really should be in good shape anyway. I’m usually not replacing pads unless they really are ripped. And that’s when I’ll tell the customer ahead of time, “Hey, you have a ripped pad.”
NHM: So, it’s like getting your car work done.
You need some brake work.
KC: Yeah, it’s going to cost a little more because of this so that can take a couple of hours, depending on how bad it is. When I’m done with it, I’ll play it in to make sure that whatever I’ve adjusted can settle a little bit. Flutes can change with the weather, such as if you’re leaving your flute in a hot car.
NHM: What flutes are the most expensive?
KC: Probably all gold. Platinum is pretty expensive too. Those are like $50,000.
NHM: How do you handle your pricing? Is it based on the job and how much time it’s going to take?
KC: For student flutes or intermediate flutes, I price a little bit lower than professional-level flutes just because of the materials I use. Student flutes are usually plated, so they’re not solid silver.
NHM: What do you like the most about your work?
KC: I get to check out different instruments, which is the most interesting because when you’re working for a company, you’re only doing flutes from that company. With this business, I get to work on all different instruments … so it’s a lot of problem-solving. NH
and tone holes.
T
“Bringing the best of New England to life has special meaning as the nation’s 250th birthday approaches. Join us this season as we celebrate what makes our region— America’s birthplace —truly special.”
—Brook Holmberg Publisher, Yankee
Thrilling Revolutionary War reenactments in Lexington and Concord, Massachusetts
Horseback riding through Vermont’s fall foliage
Cooking with James Beard Award–winning Mashpee Wampanoag chef Sherry Pocknett
Setting sail in Maine’s Great Schooner Race
Autumn adventures at New Hampshire’s historic Omni Mount Washington Hotel
Foraging with Connecticut vegan chef and cookbook author Chrissy Tracey
Biking along the beautiful New Hampshire seacoast
The art of the New England clambake at Castle Hill Inn in Newport, Rhode Island
Learn more about our show and check local listings at WEEKENDSWITHYANKEE.COM
STORY & PHOTOS BY MARSHALL HUDSON
Idon’t know exactly what a “Croo” is, but whatever it is, I am one. It happened when the regular Croo was called away and a plea went out for volunteers to temporarily replace them. I raised my hand and drew an assignment for three days and two nights at the Appalachian Mountain Club’s Lonesome Lake Hut in Franconia Notch.
Lonesome Lake Hut is at elevation 2,760 and is accessible only by hike-in, or maybe helicopter. My impression of the hut is a cross between a State Park rest area, and a bed and breakfast youth hostel. Managed by the AMC, the hut is staffed by college-age students working for low pay who are affectionately called “Croo.” Although no one was able to tell me definitively, it seems Croo is a wordplay joke and a bad spelling of “crew.”
During the volunteer screening interview
process I’m told typical Croo duties include cooking meals, washing dishes, cleaning toilets, mouse-trapping, registering guests, selling souvenirs, instructing hikers, handling first aid emergencies and finding lost hikers. That didn’t scare me off.
According to the guidebook, the hike up to Lonesome Lake Hut takes about an hour and 20 minutes. I made it in an hour and 10 minutes carrying a heavy pack stuffed with three days of anticipated needs. I met the regular Croo and three other volunteers I’d be working with over the next few days. The regular Croo were two or three times younger than the volunteers who stepped in to give them a break, and I wondered what I’d gotten myself into. After discussing the responsibilities, we divvied up the chores and watched the Croo depart, leaving us to prepare for 48
anticipated dinner guests arriving shortly.
Dumping my gear on my bunk in the tiny coed staff sleeping quarters, I noticed a sign which read, “No Crampons on the Porch.” That struck me as humorous. Was this something that really needed to be posted? Being summer, I hadn’t worn crampons, but even in icy winter conditions, I would have removed them before entering without a sign directing me to. Looking at the nicked-up deck, I could see the sign was necessary.
Lonesome Lake surprises you by how clear, clean and remote it is. It pops out as you round a corner of the trail in the dense woods. The lake is unspoiled by development and has views of the Cannon Balls and Mount Lafayette across the water, which is very cold but refreshing for brief swims. At the outlet, remnants of an old timber crib drover’s dam
form the foundation for a footbridge across the outlet.
The main hut was built in 1964 and is an odd-shaped, cedar-sided building with a kitchen, staff bunkroom, supply room, and a large multi-purpose room which serves as lobby, dining room, classroom and overflow sleeping area. There are also two freestanding bunkhouses with four and six bedrooms. Each bedroom sleeps between four and 10 people. The rooms in the bunkhouse are small and coed, and beds are first-come-first-serve up for grabs.
Bathroom facilities are indoor composting toilets. There are no showers or hot water for guests. Croo have an outdoor shower with sort-of-hot water. Electricity is provided by solar panels on the roof that store power in battery banks. A cookstove, hot water in the kitchen, and the refrigerator are run by propane-bottled gas brought in by helicopter once a year. By 9 p.m., the lights are out because of the need to conserve battery life for the emergency radio or several days of cloudy weather.
The kitchen was small and crowded, with an old temperamental gas stove lit by matches. There were three sinks set up to handwash the outrageous number of daily dishes. The kitchen also doubles as a guest registration front desk and gift shop selling T-shirts, trail books, water bottles and small supplies, etc. These items, along with fresh food, must be hauled
up the trail on pack boards by the Croo. Trash needs to be hauled down the mountain on pack boards by the Croo.
My duties for the supper meal included washing a never-ending stream of dishes, preparing a soup made from yesterday’s leftovers and ladling out bowlfuls to hungry hikers. The home-cooked meals were hearty and plentiful. No one complained or went hungry. Breakfast the second day was my responsibility, and I was up at 5 a.m., working by headlamp, to
mix and flip pancakes for 48 people, prepare gallons of coffee and cook up a cauldron of oatmeal, followed by washing a mountain of dishes all over again.
A nervous father with an active young boy approached me about a bad cut in the boy’s foot. I bandaged him up with much more gauze and ACE bandage than he really needed, hoping the extra padding would slow him down a little. His injury was not severe enough for a medevac, so he would have to hike out on a sore foot. I told him to stay off it, but that was kind of like telling a fish not to swim. The next morning, I made him a Mickey Mouseshaped pancake to start his day on a happy note before he limped down the trail.
The Croo does not serve a lunch meal, so there were a few hours off in the middle of the day, which allowed for swimming, playing chess and cribbage, and reading and watching the wildlife. We saw a moose swimming in the lake and browsing on swamp vegetation, totally unbothered by everyone trying to get a good photo of him from across the lake.
There were a lot of mixed emotions as I prepared to head down the mountain when the regular Croo returned. As a volunteer, I didn’t expect to get paid, but some guests had left tips and we divvied them up equally. My share for three days of labor came to $14. Not a very financially profitable adventure, but I left contented with new friends and happy memories of the experience. Maybe that is exactly what a Croo is. NH
Now the fastest-growing seafood industry in NH, oyster aquaculture is an alternative to wild-harvest marine fisheries, which have been declining
BY JILL ARMSTRONG / PHOTOGRAPHY BY JOE KLEMENTOVICH
From a small parking lot near the Scammell Bridge in Durham, farmers shifted their cages, the water of Little Bay barely surpassing their wader-covered knees. The glare of the early morning sun reflected off the still water, but a row of trees dotting the hillside spared my vision. I admired the mudflats, the brown silt shimmering and kaleidoscopic in the light, as the sound of passing cars dissipated over the bridge. When a small black truck turned into the lot, I was pulled out of my reverie.
I quickly recognized the driver as Laura Brown, the owner of Fox Point Oysters, one of 12 oyster farms operating in New Hampshire’s coastal waters and estuaries, whom I was there to meet early one morning in July 2024. She wore a worn blue baseball cap, sporting the Fox Point logo — a slumbering red fox cradling several oysters — and the farm’s name in white stitching. As we approached for a handshake, I noted her black
neoprene waders and her black long-sleeved shirt, which made me feel as if I was about to embark on a stealth mission into the murky depths.
Brown revealed we weren’t actually on Fox Point, as the name of her company suggests, but Cedar Point, a small peninsula overlooking Goat Island to the south and Fox Point just beyond. At this location, seven major rivers flow into the bay, bringing freshwater and minerals from their banks. Tidal blasts from the Atlantic also introduce large amounts of salt and seaweed that flush and clean out the inlet.
“An oyster’s flavor is dictated specifically by the location they’re grown in,” she said, indicating the scene below. “They’re kind of getting the best of both worlds.”
When we were ready to head out, we scrambled down a rocky incline to the water’s edge, where Brown positioned gear on a red kayak. As she pushed the vessel off
from shore, I followed her toward the rows of oyster cages, my movements slow and calculated with every step.
Brown first began oyster farming in 2011 after her sister, a marine biologist who worked on oyster restoration projects for the University of New Hampshire, urged her to come work on her new farm. After investing in her own cages and oysters, Brown said she “began learning how to care for them and how to work in and with the bay.” After a few years, she moved her operation from Fox Point to her current location in Cedar Point, which is often a point of confusion when connoisseurs attempt to identify the oyster’s location of origin, an important detail in considering flavor. (Readers might be familiar with the coveted Damariscotta oysters, farmed from the tidal river of the same name in the Damariscotta region of Maine, sometimes referred to as the “Napa Valley of Oysters.”)
Fox Point Oysters is a prime example of the thriving aquaculture movement in New Hampshire’s coastal waters. One of the fastest-growing food-producing sectors worldwide, aquaculture is a method of raising aquatic organisms in controlled environments with the intent to produce food, restore habitat and replenish wild stocks, and rebuild populations of threatened or endangered species. In New Hampshire, marine aquaculture efforts center around raising species such as oysters, mussels, sugar kelp and steelhead trout. Oyster aquaculture, currently the fastest growing seafood industry in New Hampshire, is an alternative to wild-harvest marine fisheries, which have experienced declines throughout the Gulf of Maine. According to the New Hampshire Sea Grant, more than 830,000 oysters were harvested from the 80.4 acres of oyster farms in coastal waters and estuaries in New Hampshire in 2021, including Little
“The goal is to make a small farm work. I want to be out on my farm working and I want to make a living.”
— LAURA BROWN
Bay, where Brown’s farm is located, and the Hampton-Seabrook Estuary.
The species harvested along New Hampshire’s coastline is the Eastern oyster, Crassostrea virginica, a keystone species in maintaining the health of coastal ecosystems. One oyster can filter up to 50 gallons of water each day, removing excess nutrients such as nitrogen for an overall cleaner water quality. Known as bivalves, or mollusks that have
shells consisting of two parts, oysters use their gills and cilia to process water and feed. While marine ecosystems benefit from nutrients, too many can cause an increase in algae, known as an algal bloom, which consumes a significant amount of the water’s oxygen and kills off other living organisms.
“If there aren’t oysters out there, we have terrible water quality,” Brown said. “My farming is benefitting the bay and creating
habitat, so I can’t see a better thing to grow.”
As we moved toward the cages, the water remained at ankle level for a time before rising just above my knees. Even in neoprene booties, I could feel the slickness of the silt, the softness of the land below pulling me down. Nearing the cages, I felt the hesitation of my lower body, my legs lifting in slow motion like a T-Rex, plodding across vast land. A row of cages lay flat before me, with only a third of the cage above water, their tops covered with mottled brown dirt, vibrant green, and rusted orange seaweed. Brown removed the cover of one, revealing a rectangle partitioned in two that was filled with oysters, their shells variations of grays, yellows and browns. With sleeves rolled, she picked up a few of the mollusks and arranged them in her
gloved hand. Up close, the grooves looked like miniature mountain ranges, the peaks and valleys capturing the power and force of water, of life. I snapped a photograph from my stationary position near her, the quicksand mud getting the better of me.
Evan Hennessey, the executive chef and owner of Stages at One Washington in Dover, noticed my struggle. “Instead of pulling, kind of drag your knee forward,” he said. Heeding his advice, I was instantly released from this unfamiliar substance that had become my new worst enemy.
Hennessey had joined our outing to handselect 100 oysters to serve in his restaurant. Although Brown has to physically harvest, bag and tag the oysters, Hennessey visits the bay to select and scrub his own, familiarizing himself with the most recent conditions.
“Some people want an oyster that’s really like that size,” Brown began, the oyster in her palm nearing 3 inches. “Some people want smaller, petite ones. It depends on what they’re using them for. If, I imagine, Evan was just using them for some sort of sauce or briny flavor, it wouldn’t matter.”
Hennessey selects them based on what he’s planning on the menu. “We’ll definitely pick things out depending on what we’re going to do. It’s either straight up shucked, and then we do some sort of accompaniment to it, or we’ll shuck them, dry them and rehydrate them to make oyster sauce.”
Opened in March 2012 by Hennessey and his brother Jared, Stages serves “progressive New England cuisine,” sourcing foods from nearby farms and habitats. Located just 6 miles away, Fox Point Oysters is one of several local partnerships Hennessey has nurtured since the restaurant’s inception.
“One big part of our cooking is creating flavor bases that dictate this area,” he said. “That for us is the ocean, and whether it’s seaweed, shellfish, fish — nothing to me tells the story of this area better than something like this. I mean, this oyster is the flavor of where you’re standing.”
In addition to place, environmental factors such as water temperature, currents and rainfall contribute to the unique flavor profiles of shellfish in a given area. The tide cycles, coming in and out about every six hours, can even change the flavor. Readers
have likely heard of terroir when discussing profiles in wine, but merroir, originating from the French word for sea, refers to the components of flavor in shellfish. Since there had been little rainfall in the area at the time of my visit, Brown predicted that when she shucked an oyster to taste, it would have a high salinity factor.
“Right now, they’re not even eating,” Brown said, pointing out that the oysters must be completely submerged underwater. “The tide is so low, but three hours from now, the water comes back over and they’re like, ‘yum, yum, yum, yum, yum.’ That oyster can filter 50 gallons of water a day. It’s a machine. We call them nature’s pumps, because they just work so, so hard.”
Returning to the cages, Hennessey and Brown selected ideal specimens and placed them in a circular, orange laundry basket kept afloat by two blue pool noodles zip-tied to the top outer ring. Hennessey picked up a few oysters from the batch and scrubbed their shells, the bristles scratching the hard surface as excess mud plopped into the water.
“I’ll drink one down with ya,” Brown said, shucking a couple of oysters in her palm — a technique as seamless as opening the tab on a can of Coke — and extending her gloved palm across the cage to Hennessey. The two tipped their heads back slightly and slurped the flesh from the shell.
“That’s really creamy,” Hennessey said.
“And super salty,” Brown added, almost finishing his sentence before throwing the
empty half shell over her shoulder. “There’s just no water. There’s no rain. That’s not my flavor. I like oysters when we get the rain. I don’t want to taste the salt for the next 25 minutes.”
Turning her attention away from the cages, Brown selected a few oysters from the mud at her feet. Oysters that grow on the ground are different from those farmed in cages. Ground oysters have dark shells, and they tend to splay out more than caged oysters, which grow in and around one another. Ground oysters also often have barnacles or seaweed attached to them.
Oysters grown in cages, on the other hand, are tumbled, a process I witnessed from shore upon arrival. Tumbling the oysters around in their bags, known as condos, breaks the edge of the shell, providing each oyster with more room to grow. Oysters growing on the edge of the cage receive more food because water is flowing freely there, so tumbling helps ensure the oyster’s location rotates in the cage.
“It’s kind of fun to try them all though,” Brown said, shucking a dark shell and offering me my first oyster of the day. Together, after a celebratory ‘Cheers!’ the three of us slurped down a wild oyster.
“All I can say is minerally,” Brown said. “I don’t know what the right adjective is. It’s almost a little metallic. It tastes like seaweed.”
“There’s seaweed there,” Hennessey assured her. “There’s way less creaminess to it, and then there’s like, it’s a little bit like citrus peels, like the rind.”
“Yes! Yes!” Brown’s enthusiasm was genuine, conveying a sense that Hennessey had got it exactly right.
“The salt is not lingering as much,” she added, tossing another shell behind her into the water. At the same time, a green crab — an invasive species in New England waters — inched closer to Brown’s ankles, not the first one we’d seen that day.
“Is it coming for me?” she asked without turning around to scan the murky water. Almost on cue Hennessey and I hummed the familiar duh-nuh duh-nuh from Jaws
For Hennessey, one of the most rewarding aspects of Stages is sharing the story of this area — the history, science, culture and environment. “When we put dishes together and serve them, it’s a full circle, the guests being the one element that closes that loop.”
Hennessey visits the farm to familiarize himself with the current flavor of the oysters. While Hennessey will help select and scrub the oysters for his restaurant, Brown will physically harvest them, bag and tag them.
Hennessey serves six diners at a time with one turn a night at a bar overlooking his kitchen. All dishes in the multi-course tasting menu are prepared and plated right before guests’ eyes. For many patrons, Stages is an experience they seek, knowing how the food is sourced and the care that Hennessey puts into nurturing relationships with local farmers. He specifically loves the conversations that open doors for guests to purchase the products he cooks with. “All the stuff that we get is publicly accessible, and that’s really important to us,” he said.
Brown sells directly to consumers at farms and other events. In season, she sets up a booth twice a week at Emory Farm just a couple of miles down the road. “The goal is to make a small farm work. I want to be out on my farm working and I want to make a living.”
In addition to building and establishing local partnerships, Brown values sustainable practices. Sustainability in aquaculture is important because nothing is added to the environment save for the oysters and the gear. The metal cages, however, are wrapped in plastic, which is the industry’s biggest crutch, shared Brown, and something the industry is working to improve.
“And in terms of a sustainable community,” Hennessey said, “restaurants are a piece of that entire puzzle. When you’re talking about having a small farm staying small and making money, that is a dream of mine as well: to have small restaurants, sustainable within a community, serving and giving and taking from the community. That’s how life continues positively. Not through the bigger corporations and bottom lines with tons and tons of zeros in them. It’s through the vibrancy of the relationships. I think that sustainability will change the future of restaurants. It has to.”
“When I go to Stages, I know everything in there is cared for by Evan,” Brown said. “He knows the person who raised it. And then it’s prepared. Kindly and nicely. What a great way to represent an oyster. No one’s pre-shucking them, leaving them in a freezer, because they know they’re going to have a thousand people coming through for buck a shuck. He’s opening them, preparing them, and caring for them. It’s loved from the beginning to the end. That’s a very different way to love that oyster.” NH
NEW HAMPSHIRE IS A BEAUTY LIKE NO OTHER. In our second annual Scenic New Hampshire Photo Contest, we wanted to showcase the spirit of New Hampshire though its stunning scenery. We wanted our readers to experience the Granite State’s spirit through the natural beauty that surrounds us daily, and our 300+ submissions did just that.
Our talented judges panel of professional photographers — Jodie Andruskevich, Joe Klementovich and Michael Blanchette — took on the difficult task of judging submissions, and unanimously decided on the winning photographs.
All of our winning photos and honorable mentions have captured breathtaking images of the place we call home. Along with being featured in print, our winners received a cash prize (1st place: $500; 2nd place: $300; 3rd place: $200, plus our Editor's Pick/Cover: $500). All winners and honorable mentions will also receive a oneyear subscription to New Hampshire Magazine. Congratulations!
"Waiting patiently on a crisp autumn morning, the fog let up just enough to reveal this quaint New Hampshire scene. a church, vibrant fall colors, and the depth of fog. As a photographer, these are the elements that we spend countless hours chasing.
Hampshire is one of those magical places where you can fill your frame with endless possibilities and beauty."
2ND PLACE WINNER ←
Glenn Fritzsche From Manchester, NH
Shot with a Nikon D750 Taken in Massabesic Lake, Manchester, NH studio330.gallery
"On a cold winter morning, I set out to capture something, with no clear image in mind. As I drove along Route 28 Bypass, I glanced — as I often do — toward Lake Massabesic.
There it was.
A single tree stood near the frozen shore, bare and unwavering. Beside it, a quiet bench faced the ice-covered lake. The scene was simple, yet it held me. Despite the frigid air and numb fingers, I stayed. The morning was silent. The tree and bench spoke not in words, but in presence. They said: 'Be still.' And so I was."
3RD PLACE WINNER ←
Kelly Norcross From Pittsburg, NH
Shot with a Nikon D750 Taken in Pittsburg, NH
"Every winter we have a herd of deer that yard up in our woods in Pittsburg. One morning this past winter, I saw the young deer standing at outer edge of the group. The mom circled it, then started grooming and snuggling. I grabbed my camera to catch the sweetest moment. It happened quick but I was lucky enough to get the shot."
HONORABLE MENTION ↑
Dan Soucy from Manchester, NH | Taken on Star Island
"Photo was taken on Star Island at about 11 p.m. It comprises 150 images blended into one to capture the star trail. The North Star was just above the steeple which aligned perfectly. Could not have asked for a better location on Star Island for a star rotation shot."
HONORABLE MENTION →
Verne Cote From Lee, NH
Shot with a Nikon Coolpix P900s
A Snowy Egret at Great Bay Discovery Center, in Greenland, NH
“Yikes! I might be hungry, but I can't go for that. No can do. Hall & Oates song comes to mind!!"
HONORABLE MENTION ↑
HONORABLE MENTION ←
Michael Petipas
From Alexandria, NH
Shot with a Nikon D810 Taken at Center Harbor Town Docks on Lake Winnipesaukee
"As autumn arrives and the leaves begin to change, the nights grow colder. However, Lake Winnipesaukee holds onto summer's warmth a little longer. This creates a phenomenon called “smoke on the water” where the warmer water meets the cold morning air. With the sun reflecting of the water's surface, it created an ethereal background for this image."
HONORABLE MENTION ↑
HONORABLE MENTION ↑ Paul Hamblett from New Castle, NH | Shot with an iPhone | Taken at Wildcat Mountain “A snowy November day at Wildcat Mountain looking at Mount Washington, Tuckerman Ravine and Lion Head, slightly above the clouds.”
Jodie Andruskevich is a Merrimackbased photographer who has been a professional photographer for 40 years, specializing in commercial, portrait and photojournalism. His work has appeared in numerous publications, and he is currently a part-time staff photographer for the New Hampshire Union Leader. Find more of his work at jodieea.wixsite.com/andruskevich-photo
Joe Klementovich is a freelance North Conway-based photographer who specializes in environmental photography. Find more of his work at klementovichphoto.com
Michael Blanchette is a New Hampshire-based photographer specializing in landscapes. His images exude a sense of tranquility, mystery and simplicity. He is also passionate about night photography, forever in search of bright stars and a colorful Milky Way. Find more of his work at michaelblanchette.com
Anitha AbdulRahiman Ace Dental Specialists Littleton acedentalspecialists.com
Fereidoun Agha-Razi
Northstar Endodontic Partners Merrimack northstarendo.com
Aneesa L. Al-Khalidi Granite State Endodontics Nashua granitestate endodontics.com
Nathan T. Decker
Seacoast Endodontic Associates Portsmouth seacoastendo.com
Elina Fooks Bedford Dental Care Bedford bedforddentalcare.com
Rachel L. Forbes
Seacoast Endodontic Associates Portsmouth seacoastendo.com
Ashley Rose Leavell Generations Dental Care Concord generationsdental.com
Hongsheng Liu New England Endodontic Solutions Londonderry neendosol.com
Howard J. Ludington New England Endodontics & Implantology Portsmouth drludington.com
Michael J. Marshall Southern New Hampshire Endodontics Manchester southernnh endodontics.com
Christopher S. Mirucki Modern Endodontics Londonderry modernendodontics.net
Douglas H. Moll NH Endodontics Concord nhendodontics.com
Michael R. Pauk Exeter Endodontics Exeter exeterendo.com
Philip C. Shiere
Seacoast Endodontic Associates Portsmouth seacoastendo.com
Tadros M. Tadros Elite Endodontics Hudson eliteendodonticsnh.com
Peter D. Tziros Tziros Endodontics Manchester Facebook
Matthew B. Walsh NH Endodontics Concord nhendodontics.com
John P. Ahern
Ahern, Nichols, Ahern, Hersey & Butterfield Family Dentistry Derry ahern-nichols.com
Andrew C. Albee
Suncook Dental Pembroke suncookdental.com
Michael Ambra Ambra Dental Care Concord ambradentalcare.com
Jeremy Anderson Generations Dental Care Concord generationsdental.com
Erika Antonsson Merrimack Dental Associates Bedford merrimackdental.com
Shannon N. Arndt Arndt Dental Concord arndtdental.com
Leonard M. Attisano White Birch Family Dental Manchester leonardattisanodmd.com
Thomas J. Bara Bara Dental Hillsboro baradental.com
Brandon Beaudoin
Bedford Village Dental Bedford bedfordvillagedental.com
Jeffrey A. Bellanti West End Dental Portsmouth westenddentalnh.com
Steven R. Bengtson Freese & Bengtson Family Dentistry Concord fbfamilydentistry.com
Christopher Benton Benton Family Dental Stratham bentonfamilydental.com
Brenda D. Berkal Brenda Berkal, DMD Derry brendaberkaldmd.com
Rishi Bhusari Generations Dental Care Concord generationsdental.com
Christopher T. Binder Generations Dental Care Concord generationsdental.com
Derek R. Blackwelder Winnisquam Dental Winnisquam winnisquamdental.com
Kristine E. Blackwelder Winnisquam Dental Winnisquam winnisquamdental.com
David A. Bloom
New England Dental Arts Salem newengland-dentalarts.com
Richard C. Bolduc Auburn Family Dentistry Auburn auburndentistry.com
Jacqueline M. Bonci DiBona Dental Group Exeter dibonadentalgroup.com
Harjeet S. Brar
Brar Family Dentistry Nashua brardentalnh.com
Kimberly Brown-Loosmann Hampshire Family Dental
Raymond hampshirefamilydental.com
Evelyn M. Bryan
Evelyn M. Bryan Manchester drevelynbryan.com
Stephen Butterfield Ahern, Nichols, Ahern, Hersey & Butterfield Family Dentistry Derry ahern-nichols.com
Richard A. Calvin
Highland Family Dental Plaistow Highlandfamilydental.net
Joseph Cariello Dovetail Dental Associates Amherst dovetaildental.com
Diana T. Carrillo Grace Family Dentistry Concord gracefamilydentistry.com
David B. Chan Wellspring Dental Group Nashua wellspringdentalgroup.com
Jennifer A. Charland
Signature Smiles Dental Rindge signaturesmilesnh.com
Ethan D. Chase Gentle Dental, South Nashua Nashua gentledental.com/ dental-offices/nh/ nashua/south-nashua
Sylvia A. Christian Granite Family Dentistry Hooksett granitefamilydentistry.com
Cara A. Coleman Coleman Family Dental Care Amherst colemanfamily dentalcare.com
Salvatore F. Colletta Nashua Smile Makers Nashua nashuasmilemakers.com
Bruce R. Courtney, Jr. Family & Cosmetic Dentistry Manchester brucecourtneydmd.com
Laura Daza Alliance for Dental Care Rochester alldentalcare.com
Paul M. Decker PDL Dental Hanover deckerpilondental.com
James P. DeLeo IV Chestnut Family Dental Manchester chestnutfamilydental.com
William Devaney Portsmouth Dental Portsmouth portsmouthdental.com
Elizabeth DiBona DiBona Dental Group Exeter drmarkdibona.com
Michael R. Dion
Michael R. Dion Preventative and Cosmetic Dentistry Derry diondmd.com
Mukunda Dogiparthi
Sterling Smiles of Nashua Nashua sterlingsmilesofnashua.com
Ernani S. Domingo Bay Street Family Dental Manchester baystreetfamilydental.com
Elle Donnelly Cochecho Dental Dover cochechodental.com
Courtney A. Dressler Hampstead Family Dental Hampstead hampsteadfamilydental.com
Keith A. Dressler Hampstead Family Dental Hampstead hampsteadfamilydental.com
Carla F. Dukas We Care Dental Nashua wecaredentalpllc.com
Richard T. Dumas Dover Dental Associates Dover doverdental.net
Douglas Duval
Douglas Duval Family Dental Manchester bestnhdentists.com
Alyssa Ebright Ebright & Smart Family Dentistry Londonderry londonderrydentist.com
Ashley A. Frankinburger Lindner Dental Associates
Audrey P. Elliott New Boston Dental Care New Boston newbostondental.com
Nick I. Fleury Circle Dental Meredith circledentalnh.com
Gregory Fredette Garrison Family Dental Dover Facebook
Robert Fromuth Fromuth and Langlois Dental Manchester manchesterbedford dentist.com
Gordon F. Geick
Dovetail Dental Associates Londonderry gfgdental.com
Kelly M. Ginnard
Kelly Ginnard General Family Dentistry Manchester drkellyginnard.com
Bracken Godfrey Godfrey Dentistry Somersworth godfreydentistry.com
Whitney E. Goode Goodwin Community Health Somersworth goodwinch.org
Timothy J. Goslee Great Bay Dental Care Newmarket greatbaydentalcare.com
Salvatore Guerriero Nashua Smile Makers Nashua nashuasmilemakers.com
William Guthrie
Bedford Dental Care Bedford bedforddentalcare.com
TOP VOTE-GETTER: PERIODONTICS
Michael D. Neal Bedford Commons Periodontics
TOP VOTE-GETTER: ORAL SURGERY
D. Cameron Braasch Braasch Oral Surgery
Curtis Hansen Lindner Dental Associates Bedford lindnerdental.com
Jill Harrison
Harrison Dental Arts Portsmouth HarrisonDentalArts.com
Kristen Harvey White Park Dental Concord whiteparkdental.com
E. Thomas Hastings Hastings Dental Health Swanzey hastingsdentalhealth.com
Hubert W. Hawkins IV Dr. Hugh’s Dental Littleton drhughsdental.com
Matthew S. Heimbach Abenaki Dental Care Exeter abenakidentalcare.com
Tamatha L. Johnson
Brentwood Dental Designs Epping bddnh.com
Ashleigh F. Jones
Lakes Region Dental Care Gilford lakesregiondentalcare.com
B. Chandler Jones Lakes Region Dental Care Gilford lakesregiondentalcare.com
Andrew Kalil Kalil & Kress Windham kalilandkress.com
Donna L. Kalil
Kalil & Kress Nashua kalildental.com
Kenneth J. Kalil Kalil Dental Group Windham kalildental.com
Michelle Kalil Kalil & Kress Nashua kalilandkress.com
Nicholas Kanelos, Jr. Garrison Family Dental Dover Facebook
Julia Kapala Merrimack Smiles Merrimack merrimacksmiles.com
Eric M. Katzman Katzman Dental Dover katzmandental.com
Melissa A. Kennell Children’s Dentistry Gilford childrensdentistnh.com
Audrey A. Herod Merrimack Dental Associates Merrimack merrimackdental.com
Andrea Herold Herold Family Dentistry Portsmouth heroldfamilydentistry.com
Bryan R. Hoertdoerfer Hoertdoerfer Dentistry Manchester bruinsdentist.com
Benjamin Irzyk Hometown Dental Portsmouth hometowndentalnh.com
Andrew Janiga Center for Dental Excellence Nashua nashuadental.com
Lauren R. Johnson
New Boston Dental Care New Boston newbostondentalcare.com
Keith M. Levesque Levesque Dentistry Nashua levesquedentistry.com
Tara Levesque-Vogel Levesque Dentistry Nashua levesquefamilydentistry.com
Franklyn Liberatore Nashua Riverfront Dentistry Nashua nashuariverfrontdentistry. com
Jody B. Low Jody Low Family Dentistry Dover drjodylow.com
Brian T. Maguire North Hampton Dental Group North Hampton northhampton dentalgroup.com
Praveen K. Mandera Govindaiah New Hampshire Family Dentistry Manchester nhfamilydentist.com
Anthony Manfredi 603 Dental Family Dental Office Londonderry 603dentalnh.com
Nellita M. Manley Piscataqua Dental Partners Portsmouth piscataquadental.com
Russell D. Mann Mann Family Dental Manchester mannfamilydental.com
Christina McCann Generations Dental Care Concord generationsdental.com
Puneet Kochhar Alliance for Dental Care Rochester alldentalcare.com
Beth A. Kress
Kalil & Kress Family and Cosmetic Dentistry Nashua kalilandkress.com
Heidi Lindner Kurland Lindner Dental Associates Bedford lindnerdental.com
Matthew C. Leighton Ponemah Crossing Dental Amherst clarkandleighton.com
Samuel J. Lemeris
Greatview Dental Exeter greatviewdental.com
Danielle Leonardi Glen Lake Dental Goffstown glenlakedentalnh.com
Mark S. Morris
Merrimack Smiles Merrimack merrimacksmiles.com
Michele R. Morrow Hampshire Family Dental
Raymond hampshirefamilydental.com
Michael Moskowitz Vanguard Dental Group Derry vanguarddentalgroup.com
Sayed A. Mousawi Hampton Family Dental Hampton hamptoncosmeticdental. com
James M. Nash North Hampton Dental Group North Hampton northhampton dentalgroup.com
Tarin Nassaney Alliance for Dental Care Rochester alldentalcare.com
Brindha Natarajan Towne Square Dental Londonderry mylondonderrydentist.com
Jay A. Nesvold Atlantic Family Dental Portsmouth atlanticfamilydental.com
Darcy A. Neveu New Hampshire Smile Co. Merrimack cardamoneand neveudental.com
Lindsey M. O’Connor Goffstown Dental Associates Goffstown goffstowndental.com
Jennifer A. McConathy Cochecho Dental Dover cochechodental.com
Alex L. McCulloch Grace Family Dentistry Concord gracefamilydentistry.com
Barton E. McGirl Dentistry While You Sleep Hampton yoursleepdentist.com
Kelley McLaughlin
Goodwin Community Health Somersworth goodwinch.org
Daphnie Mercado Chestnut Family Dental Manchester chestnutfamilydental.com
Christopher S. Moriarty North End Dental Care Manchester northenddentalcarenh.com
Jessica Peterson Peterson Family Dental Dover petersonsfamilydental.com
Stephan L. Peterson Peterson’s Family Dental Dover petersonsfamilydental.com
Darren M. Phipps Gutgsell & Phipps New London newlondondentists.com
Janice E. Pilon PDL Dental Hanover deckerpilondental.com
Sree J. Raman Smiles by Design Manchester newhampshiresmile dentistry.com
Murali Ravel NH Esthetic Dentistry Bedford nhestheticdentistry.com
Nicholas C. Rizos Dr. Nicholas C. Rizos Dentistry Bedford drnickdmd.com
James R. Rochefort James Rochefort Dentistry Dover dovernhdentist.com
Laurie A. Rosato
Laurie A. Rosato Dentistry Concord LaurieRosatoDMD.com
Craig Rothenberg Vanguard Dental Group Derry vanguarddentalgroup.com
Cheryl A. Ogden Goffstown Dental Associates Goffstown goffstowndental.com
Joshua T. Osofsky Family Dental Care of Milford Milford familydentalcare ofmilford.com
Michael J. Paisner Paisner Dental Associates Nashua drpaisner.com
Emily Pakula Moriarty Hillside Family Dental Candia hillsidedentalnh.com
Jonathan C. Palazzo Jonathan Palazzo Dentistry Manchester jonathanpalazzodmd.com
Greg A. Perry Perry Family Dental Care Antrim perryfamilydentalcare.com
Christiane M. Rothwangl Rothwangl Dental Care Bedford rothwangldentalcare.com
Amy Rust Vachon Dental Manchester vachondental.com
Muhenad Samaan Manchester Dental Manchester manchestercitydental.com
Felix Santamaria Oasis Dental Manchester oasisdentalnh.com
Carmen V. Santana Bay Breeze Dentistry Portsmouth baybreezedentistry.com
Angela J. Santavicca Santavicca Dental Professionals Lebanon santaviccadental.com
Thomas G. Schell Schellnoble Dentistry Lebanon schellnoble.com
Vicktor G. Senat
Dovetail Dental Associates Amherst dovetaildental.com
Carolyn Shreck Lamprey Family Dental
Raymond lampreydental.com
Amanda Smith Nashua Cosmetic & Restorative Dentistry Nashua NashuaDentistry.com
Margaret I. Spargimino Hooksett Family Dental Hooksett hooksettfamilydental.com
Elizabeth S. Spindel Spindel General and Cosmetic Dentistry Manchester elizabethspindel.com
Victoria Spindel-Rubin Spindel General and Cosmetic Dentistry Manchester elizabethspindel.com
Lesleyann M. Splagounias Lindner Dental Associates Bedford lindnerdental.com
Victor Stetsyuk Generations Dental Care Concord generationsdental.com
Natalia G. Streltsov Summer Court Dental Hanover summercourtdental.com
Jason E. Sudati Amoskeag Family Dentistry Manchester amoskeagfamily dentistry.com
Jonathan H. Terhune Franklin
Jyoti Thapa Central Family Dental Dover centralfamilydentalnh.com
Curtis Thibeault
Alton Bay Dental Alton altonbaydental.com
Denise Tong Lindner Dental Associates Bedford lindnerdental.com
Ruth Trinidad Grace Family Dentistry Concord gracefamilydentistry.com
Vincent Trinidad Lindner Dental Associates Bedford lindnerdental.com
Stephen C. Ura Center for Dental Excellence Nashua nashuadental.com
Jeffrey R. Vachon Vachon Dental Manchester vachondental.com
Sreemali Vasantha Souhegan Valley Dental Milford kenisondds.com Deepthi Vasireddy
Manchester heartysmilespc.com
Brittney Ward Lilac Kids Pediatric Dentistry Exeter lilackidsdental.com
Emery Ward Dr. Emery Ward, DDS Portsmouth emerywarddds.com
Jonas Westbrook Applewood Family Dentistry Barrington applewoodfamily dentistry.com
Kevin Drew Wilson Family Dental Care of Milford Milford fdcmilford.com
Erik H. Young Derry Dental Associates Derry derrynhdental.com
David W. Yue Brar Family Dentistry Nashua brardentalnh.com
Silvia Yue Brar Family Dentistry Nashua brardentalnh.com
Oral and Maxillofacial Surgery
Mark D. Abel Manchester Oral Surgery Manchester manchesteroralsurgery.com
Jonathan D. Bean NHOMS Pembroke drmoavenian.com
Gregory S. Biron Exeter Dental Implant and Oral Surgery Exeter oralsurgeryexeter.com
D. Cameron Braasch Braasch Oral Surgery Bedford braaschoms.com
Thomas F. Burk
Apex Oral Maxillofacial Surgery & Implantology Nashua apexomfs.com
Louis F. Clarizio
Oral Surgery & Dental Implant Center Portsmouth drclarizio.com
Michael Courtney
Seacoast Dental Implant & Oral Surgery Portsmouth seacoastoralsurgery portsmouth.com
Jared Curtin
Curtin Oral Surgery & Associates Salem curtinosa.com
Corey F. Decoteau
Apex Oral Maxillofacial Surgery & Implantology Nashua apexomfs.com
Daniel H. DeTolla
Seacoast Dental Implant & Oral Surgery Center Portsmouth seacoastoralsurgery.com
Sotirios Diamantis Lowell, Nashua & Chelmsford Oral Surgery Associates Nashua lowelloralsurgery.com
Mina Fahmy NHOMS Pembroke drmoavenian.com
Benjamin Farr
Apex Oral Maxillofacial Surgery & Implantology Nashua apexomfs.com
Amy D. Field
Lowell, Nashua & Chelmsford Oral Surgery Associates Nashua nashuaoralsurgery.com
Charles H. Henry
Charles H. Henry, DDS Keene drhenrydds.com
Christopher A. King
Dover Oral & Maxillofacial Surgery Dover doveroms.com
Jason Lee
Lindner Dental Associates Bedford lindnerdental.com
Rachel Madden
Apex Oral Maxillofacial Surgery & Implantology Nashua apexomfs.com
Salman Malik
Granite State Oral Surgery Londonderry granitestateoralsurgery.com
Nader Moavenian NHOMS Nashua drmoavenian.com
Dave C. Pak
Seacoast Dental Implant & Oral Surgery Center Rochester seacoastoralsurgery rochester.com
Richard J. Rosato
Capitol Center for Oral & Maxillofacial Surgery Concord ccoralsurgery.com
Kyle Stiefel
Plaistow Oral Surgery
Dental Implant Center Plaistow plaistoworalsurgery.com
Jeffrey D. Stone
Lowell, Nashua & Chelmsford Oral Surgery Associates Nashua nashuaoralsurgery.com
A. Jose Torio
Apex Oral Maxillofacial Surgery & Implantology Nashua apexomfs.com
Thomas A. Trowbridge Lowell, Nashua & Chelmsford Oral Surgery Associates Nashua nashuaoralsurgery.com
Patrick B. Vaughan Concord Oral Surgery Concord concordoralsurgery.com
Gopi K. Voonna Elliot Oral Maxillofacial Surgery Center Manchester elliothospital.com
Orthodontics
John E. Beinoras Dr. Beinoras Gilford nhorthodontist.com
Suren Chelian
Chelian Orthodontics Nashua drchelian.com
Jay M. Decoteau Decoteau Orthodontics Nashua decoteauorthodontics.com
Douglas J. Elliott Elliott Orthodontics Merrimack elliottorthodontics.com
Timothy Finelli
Seacoast Orthodontics North Hampton seacoastorthodontics.com
Paras Gosalia Monadnock Orthodontics
Peterborough monadnock orthodontics.com
Dennis C. Hiller Hiller Orthodontics Littleton hillerortho.com
Paul D. Johnson III
Mehan & Johnson Orthodontics Manchester NHorthodontics.com
Alan F. Kennell
Kennell Orthodontics
Laconia kennellortho.com
Jason S. Lenk Lenk Orthodontics Durham lenkortho.com
Danielle London London Family Orthodontics Bedford londonfamily orthodontics.com
Philip M. Mansour
Goffstown Area Orthodontics and Weare Orthodontics Goffstown nhbraces.com
Lance R. Miller
Miller Orthodontic Specialists Keene millerorthodontic specialists.com
Sogole S. Moin
Moin Orthodontics Manchester drmoin.com
Thomas Montemurno Family Orthodontics Manchester drtomorthodontics.com
Donald J. Neely Hanover Orthodontics Hanover drneely.com
Hugh R. Phillis
Hugh M. Phillis, DMD, PA Nashua smilemkr.com
Stephanie Phillis
Hugh M. Phillis, DMD, PA Nashua smilemkr.com
Michael J. Marshall Southern New Hampshire Endodontics
Tracy Pogal-Sussman Lindner Dental Associates Bedford lindnerdental.com
Rachel J. Polgrean Apple Tree Orthodontics Londonderry appletreeortho.com
Lioubov G. Richter Luba Richter Orthodontics Concord drlubaortho.com
Danielle C. Ross Windham Orthodontics Windham windhamorthodontics.com
E. Diane Shieh Amherst Orthodontics Amherst amherstorthodontics.com
Jennifer R. Siller Seacoast Orthodontics North Hampton seacoastorthodontics.com
Michael E. Vermette Vermette Orthodontics Concord vermetteortho.com
John Walsh Great Bay Orthodontics Stratham greatbayorthodontics.com
Brad C. Watterworth Watterworth Orthodontics Portsmouth seacoastortho.com
Douglass C. Wilson Wilson Orthodontics Keene drwilsonorthodontics.com
Pediatric Dentistry
Roger A. Achong Concord Pediatric Dentistry
Concord concordpediatric dentistry.com
Ashley A. Frankinburger
Lindner Dental Associates Bedford lindnerdental.com
James B. Haas
Haas Dental Associates Derry haasdentalnh.com
Mindy Hall Lakeside Smiles Pediatric Dentistry Alton lakesidesmilespd.com
Danielle C. Hinton Concord Pediatric Dentistry Concord concordpediatric dentistry.com
Nancy E. Jun
Monadnock Pediatric Dentistry Jaffrey monadnockpediatric dentistry.com
Joseph H. Becht Nashua Dentistry and Orthodontics for Children Nashua nashuadocs.com
Adam Bottrill
Seacoast Children’s Dentistry Greenland seacoastchildrens dentistry.com
Michael Capozzi
Concord Pediatric Dentistry
Concord concordpediatricdentistry.com
Patrick F. Capozzi
Concord Pediatric Dentistry Concord concordpediatric dentistry.com
Nina B. Casaverde Lindner Dental Associates Bedford lindnerdental.com
Andrew T. Cheifetz Children’s Dental Center of New Hampshire Amherst childrensdentalnh.com
Elliot C. Chiu
Concord Pediatric Dentistry Concord concordpediatric dentistry.com
Jennifer Creem
Core Pediatric Dentistry Exeter corephysicians.org
Lindsay Decker Core Physicians Exeter corephysicians.org
Luis S. Englander Lindner Dental Associates Bedford lindnerdental.com
Patrick T. Wilson
Great Oudoors Pediatric Dentistry Somersworth gopediatricdentistry.com
Adam J. Wolff
Pediatric Dentistry of Salem Salem pediatricdentistry ofsalem.com
Asia Yip Lindner Dental Associates Bedford lindnerdental.com
Periodontics
Irina Adler
Manchester Dental Surgery & Implant Center Manchester nhdentalsurgery.com
Viena G. Posada Puredontics Portsmouth puredontics.com
Matthew B. Smith
Children’s Dentistry Gilford childrensdentistnh.com
Tim Smith Children’s Dentistry Gilford childrensdentistnh.com
Jon J. Wendell Portsmouth Pediatric Dentistry & Orthodontics Portsmouth seacoastsmiles.com
Charles R. Braga Lamprey Family Dental Raymond lampreydental.com
Roland R. Bryan Dr. Roland R. Bryan Manchester rolandbryandmd.com
Charles J. Burliss
Charles J. Burliss Salem perionh.com
Francesca Failla Nashua Riverfront Dentistry Nashua nashuariverfront dentistry.com
Jonell Hopeck Generations Dental Care Concord generationsdental.com
Sharon E. Johnson
Sharon E. Johnson, DMD Belmont sejohnsonperio.com
Tae Kwon Monadnock Perio & Implant Center Keene monadnockperio.com
Michael D. Neal
Bedford Commons Periodontics Bedford bedfordcommons periodontics.com
Nomith T. Ramdev Nomith Ramdev Periodontics & Dental Implants Dover drramdev.com
Amy Rosania Seacoast Periodontics & Dental Implants Portsmouth rosaniadmd.com
David Rosania Seacoast Periodontics & Dental Implants Portsmouth rosaniadmd.com
James D. Spivey Portsmouth Periodontics & Portsmouth Dental Implant Care Portsmouth drspivey.com
Austin H. Wang Cornerstone Periodontics & Implants Concord cornerstoneperio.com
Kate D. Wilson Coastal Periodontics Portsmouth coastalperiosurgery.com Prosthodontics
Rosella Butura Preferred Family Dental Bedford preferredfamily dental.com
Catherine Cagino Merrimack Smiles Merrimack merrimacksmiles.com
Paul J. Connolly Bedford Center for Prosthodontics Bedford smiledesignnh.com
Michael R. Hamel
Michael R. Hamel, DMD Manchester Facebook
Deborah M. Munoz Bedford Center for Prosthodontics Bedford smiledesignnh.com
Lisa B. Schulman Seacoast Dream Dentistry Portsmouth seacoastdream dentistry.com
“If
you had a patient in need of a dentist, which dentist would you refer them to?”
This is the question we’ve asked thousands of dentists to help us determine who the topDentists should be. Dentists and specialists are asked to take into consideration years of experience, continuing education, manner with patients, use of new techniques and technologies and of course physical results.
The nomination pool of dentists consists of dentists listed online with various professional boards and societies; thus allowing virtually every dentist the opportunity to participate. Dentists are also given the opportunity to nominate other dentists that they feel should be included in our list. Respondents are asked to put aside any personal bias or political motivations and to use only their knowledge of their peers’ work when evaluating the other nominees. Voters are asked to individually evaluate the practitioners on their ballot whose work they are familiar with. Once the balloting is completed, the scores are compiled and then averaged. The numerical average required for inclusion varies depending on the average for all the nominees within the specialty and the geographic area. Borderline cases
are given a careful consideration by the editors. Voting characteristics and comments are taken into consideration while making decisions. Past awards a dentist has received and status in various dental academies can factor into our decision.
Once the decisions have been finalized, the included dentists are checked against state dental boards for disciplinary actions to make sure they have an active license and are in good standing with the board. Then letters of congratulations are sent to all the listed dentists. Of course there are many fine dentists who are not included in this representative list. It is intended as a sampling of the great body of talent in the field of dentistry in the United States. A dentist’s inclusion on our list is based on the subjective judgments of his or her fellow dentists. While it is true that the lists may at times disproportionately reward visibility or popularity, we remain confident that our polling methodology largely corrects for any biases and that these lists continue to represent the most reliable, accurate, and useful list of dentists available anywhere. NH
T he dentists featured in this section are among the most highly skilled and respected professionals in New Hampshire.
If you’re searching for a new dentist, look no further!
A warm, healthy smile can be lifechanging. It can bring a new sense of confidence and sincerity, improve your self image, bring people together and create a lasting impression.
The fact that Dr. Robert Marshall can deliver such beneficial, transformative dentistry with an exceptional level of comfort is what makes Aesthetic Dental Center in Concord a perennial favorite in the Granite State.
“We give outstanding patient care and make each patient an ambassador for continued growth and success in their own dental health. That’s why my patients actually enjoy coming here — we simply use modern dentistry to open a new window to their world,” Dr. Marshall says.
Our hygiene department is available to take care of preventative and periodontal maintenance visits. And as a leader in cosmetic and restorative dentistry, Dr. Marshall fully understands the importance of aesthetic dentistry. So much so, he made it part of the practice’s name. “I change smiles to change people’s lives,” says Dr. Marshall. “Each procedure culminates in form, function and beauty. Clients work with me to develop the smile of their dreams.”
To create that dream smile, Aesthetic Dental Center is a fullservice dental office, providing a wide range of care. They offer a wide range of services from basic cleanings, whitening, tooth colored fillings, full mouth reconstruction with veneers and crowns, to partial and full arch dentures. For every challenge, Dr. Marshall has an elegant, aesthetic solution:
• Using veneers for chipped, cracked or worn teeth.
• Implants to replace missing teeth.
• Invisalign to straighten teeth without the hassle of traditional braces.
A former clinical instructor at The
Pacific Aesthetic Continuum, Dr. Marshall has taught others the art of smile enhancement.
“Every dental procedure should radiate confidence to our patients,” says Dr. Marshall. “An investment in yourself pays dividends for a lifetime.”
Aesthetic Dental Center is thrilled to announce that Dr. Robert Thomas Marshall joined the practice in September 2023. As the youngest son of Dr. Marshall, he has worked previously as an assistant and at the front desk and is now excited after graduating
from Tufts Dental School to work chair side delivering personalized dental solutions. With his father and mentor by his side, Dr. Marshall makes dream smiles a reality through utilizing the latest in dental technologies. As is the case with most works of art — a strong foundation is necessary to achieving a smile Dr. Marshall and his patients are proud to show off.
177 Pleasant St., Concord (603) 224-1743
aestheticdentalcenter.com
At Hampton Cosmetic and Implant Dentistry, every patient is welcomed with warmth, reassurance, and a promise: you’ll leave not just with a brighter smile, but with the confidence of knowing you’ve received the very best in modern dental care. The team’s unwavering dedication is evident in every detail from their advanced technology to their compassionate approach, ensuring your comfort and satisfaction at every visit.
Dr. Sayed Mousawi and Dr. Elmehdi Boujida, both proud graduates
of the prestigious Boston University Goldman School of Dental Medicine, bring over 13 years of expertise each to their practice. They are relentless in their pursuit of excellence, constantly updating their knowledge and investing in the latest dental innovations. Dr. Mousawi’s specialized post-graduate residency in cosmetic dentistry and his extensive training in full arch reconstruction and All-on-X implant cases set a high bar for clinical skill and artistry.
“Cosmetic dentistry is all about
enhancing the beauty of your smile,” Dr. Boujida explains. “We tailor our approach to address each patient’s unique needs and goals, using the most effective and minimally invasive techniques available.”
From veneers, crowns, and Invisalign to teeth whitening, restorative treatments, wisdom teeth extraction, oral surgery, dentures, laser surgery, and advanced implant dentistry—the range of services at Hampton Cosmetic and Implant Dentistry is both comprehensive and cutting-edge. The
practice is renowned for its expertise in aesthetic dentistry, helping patients achieve natural-looking results with the least disruption and discomfort.
“Patients think that cosmetic dentistry is scary and painful,” says dental hygienist Hannah Cheever. “But our team of knowledgeable and trusted professionals is here to walk each person through every part of the process, so they know what to expect. It’s really not as scary as people work themselves up to think that it is!”
Their level of patient care and expertise is seen in their state-of-theart facility. The office is equipped with the latest advancements, including 3D printing, intra-oral scanners, and computer-aided design/manufacturing (CAD/CAM) technology, which ensures faster, more precise and more comfortable treatments. Innovations like no-prep veneers offer patients a conservative, pain-free way to transform their smiles without extensive tooth preparation.
But at Hampton Cosmetic and Implant Dentistry, the impact of a smile transformation goes far beyond aesthetics. “A beautiful smile can be life-changing,” says Dr. Mousawi. “It’s not just about looking good—it’s about feeling good, gaining confidence, and unlocking new opportunities for personal and social growth.” Many patients, inspired by their dental journey, have even tackled other health goals, such as weight management and quitting smoking, with the support of the caring team.
Behind every successful patient story is a highly skilled, compassionate staff. From the friendly front desk team—experts at navigating insurance and paperwork—to the seasoned dental assistants and hygienists, every member is committed to making your experience seamless and stress-free. Patients who once dreaded dental
visits now rave about how the team’s empathy and expertise have helped them overcome anxiety and actually look forward to their appointments.
“We are high-energy and 100% patient-focused,” Dr. Mousawi emphasizes. “There’s no upselling, no pressure—just honest, personalized care delivered at the highest standard, every single time.”
With locations in Hampton, New Hampshire, as well as Salisbury and Boston, Massachusetts, Hampton Cosmetic and Implant Dentistry is redefining what it means to go to the dentist. Experience the difference for yourself—a practice where your smile, your comfort, and your well-being always come first.
Hampton dental practice focuses on cosmetic and functional dental services
Q&A with Dr. Sayed Mousawi, DMD, CAGS, and Dr. Elmehdi Boujida, DDM, of Hampton Cosmetic and Implant Dentistry
Q:What factors should a patient consider when deciding between different cosmetic dental procedures?
A:Choosing the right cosmetic dental procedure is a highly personal decision. The first step is always understanding your unique goals—what do you want to change or enhance about your smile? Cosmetics are subjective, and what’s beautiful to one person might not be the ideal for another.
Generally, we consider four essential elements for an aesthetically pleasing smile:
1. Teeth Color: Brightness and uniformity matter.
2. Teeth Size and Shape: Proportions should complement your facial features.
3. Gum Architecture: Healthy, balanced gums frame your teeth beautifully.
4. Facial Aesthetics and Midlines: Your smile should harmonize with your overall facial symmetry.
A truly stunning smile is the result of balancing all these factors to suit your individual preferences and facial structure. Our approach is always customized, ensuring your results are as unique as you are.
Q:What is a common misconception about cosmetic dentistry, and what’s the reality?
A:Two big myths persist about cosmetic dentistry: it’s always painful, and it’s always expensive. Let’s set the record straight.
Pain: Many cosmetic procedures are surprisingly comfortable—and some are completely pain-free. For example, professional whitening, no-prep veneers, Invisalign, and even certain bonding procedures can often be performed without anesthesia or discomfort. Many patients leave their appointments amazed at how easy and painless their transformation was.
Cost: While some advanced treatments can be an investment, there are also affordable options that deliver dramatic improvements. Simple in-office whitening or minor bonding can make a world of difference for just a few hundred dollars. Plus, many insurance plans now cover procedures like anterior bonding and enameloplasty, making a beautiful smile more accessible than ever.
Ultimately, a confident, attractive smile is more than just a luxury—it can be life-changing, boosting your self-esteem and leaving a lasting impression in both personal and professional settings.
Q:How long do dental implants last?
A:
Q:What are the best ways that patients can maintain their dental implants?
A:Keeping up with your routine dental visits and cleanings every six months is really important to maintaining the health of implants and regular teeth.
Dental implants are the gold standard for replacing missing teeth, and with proper care, they can last a lifetime. Their longevity depends on several factors:
• Material Quality: Most implants are made from titanium, which fuses seamlessly with your jawbone for unmatched stability.
• Oral Hygiene: Consistent brushing, flossing, and regular dental visits are essential to protect your investment.
• Lifestyle Choices: Smoking and excessive alcohol can undermine the health of your gums and bone, potentially shortening your implant’s lifespan.
• Professional Maintenance: Routine checkups allow your dentist to monitor your implant and address any issues early. With meticulous care, it’s not uncommon for dental implants to last 25 years or more. They look, feel, and function just like natural teeth—giving you the freedom to eat, speak, and smile with total confidence.
Q:What would you say to a patient who is nervous about having their dental implants done?
A:No need to be nervous! It’s all about finding an office where you feel comfortable. At Hampton Cosmetic and Implant Dentistry, we walk you through every step and greet you with smiles.
Cornerstone Periodontics and Implants has been providing NH, MA, VT and ME the highest quality periodontal care for almost 25 years. Dr. Austin Wang is a Diplomate of the American Board of Periodontology. He specializes in the treatment of periodontal disease (deep pockets), gum recession, extractions, single implant therapy to full mouth implant rehabilitations. He has solutions for ill-fitting dentures with the use of implants and permanent solutions with hybrid restorations. Dr. Wang and his team are proud of their most up-to-date technology, including Fontona LightWalker® laser procedures, laser therapy using the LANAP® technique, 3-D imaging and YOMI®, a robotic assistance system that allows Dr. Wang to perform dental implant surgery with accuracy and precision for even the most complex cases. The dental hygiene team are all highly educated in advanced periodontal therapies. They perform routine periodontal cleanings as well as scaling and root planings (deep cleanings done with local anesthetic). Their goal is to provide care that will result in your continued success in oral health. Call for a consultation at one of the most technologically advanced periodontal offices in the region. Cornerstone Periodontics and Implants can give you the healthy foundation you need to get your smile back. Pictured above: Chewy and Wicket our “comfort” dogs. They are employed full-time to nap on your lap during your procedure.
153 Manchester St., Concord (603) 224-9474
cornerstoneperio.com
We don’t just treat teeth. We treat the whole person.
Dr. Bryan is a graduate of Tufts Dental School and completed his periodontal training at Boston University Hospital. He has been in private practice since 1993 and specializes in periodontics and dental implants. Following a complete periodontal evaluation, Dr. Bryan will assist you in developing a comprehensive periodontal treatment plan. Some of your treatment plan options may include dental implants, scaling and root planing, gingival grafting for recession, pocket elimination procedures and aesthetic laser contouring.
When arriving at Dr. Bryan’s office, you will find a confident, professional and comforting atmosphere. You will quickly see that you are surrounded by the latest in dental technology including digital radiography and dental laser therapy. Whether you are considering localized or comprehensive periodontal therapy, Dr. Bryan’s team always makes your care their top priority.
The dedicated team at Elite Endodontics of NH are committed to providing a welcoming environment to our patients and dental community.
Our esteemed team of endodontists —Dr. Tadros M. Tadros, Dr. Anika Solanki, Dr. Joseph A. Everett, Dr. Devon M. Ptak and Dr. Jessica Milliken — serve Hudson, Hooksett, Moultonborough and surrounding neighborhoods.
Their aim every day is to deliver scientifically driven care to save natural teeth, minimize pain and improve a patient’s quality of life. Using state-of-
the-art technology and imaging, our doctors are able to provide high-quality, efficient and comfortable treatment. With honest communication and consideration, we strive to ensure every patient is as informed and comfortable as possible when making decisions regarding their care. We are eager to work with a patient’s primary dentist to coordinate treatment plans to attain a common goal. We are happy to see lastminute emergencies, and believe in the importance of accommodating a patient into our schedule as soon as possible.
The doctors at Elite Endodontics are able to offer various anti-anxiety modalities to our patients such as nitrous oxide, oral sedation or treatment under general anesthesia with our dental anesthesiologist, Dr. Lily Hu. Together, our team will work with you to accomplish comprehensive and compassionate care. We encourage you to visit our website or reach out to our wonderful staff for further information and assistance. It is our honor to make your dental health our priority.
182 Central St., Hudson • 1310 Hooksett Road, Hooksett • 60 Whittier Hwy, Unit 1, Moultonborough (603) 882-5455 • Eliteendodonticsnh.com
Drs. Jeffrey Vachon and Amy Rust along with their team of friendly, caring professionals strive to give the best care to each and every patient. We provide patients with all the information they need to assist in making the best decisions for their oral health. We are all trained in the latest techniques and believe continuing education and service to the community is of utmost importance. Dr. Jeff is a Master in the Academy of General Dentistry, which is achieved by less than 2% of general dentists. As the current president of the
New Hampshire Dental Society, Dr. Jeff has the opportunity to utilize his strong leadership skills and passion for dentistry to advocate for dentists and patients on a state-wide level. Dr. Rust has recently obtained her Fellowship in the Academy of General Dentistry and is trained in the placement of dental implants, confirming her passion for knowledge, as well. Our growing practice utilizes up-to-date technology, equipment and treatment. To learn more about Vachon Dental and how we can best serve you, please call or visit our website.
57 Webster St., Manchester (603) 627-2092
vachondental.com
A s the leading experts in dental implants and wisdom teeth in New Hampshire and Massachusetts, doctors Moavenian, Keyser, Reich, Schonfield, Fahmy, Bean, Dyrkacz, Courtney, Ahson and Kim are committed to providing safe and compassionate care to their patients. Dr. Nader Moavenian is a full scope oral and maxillofacial surgeon with expertise ranging from dental implants to corrective jaw surgery, facial injuries, wisdom teeth removal, and pediatric and adolescent oral surgery. He is one of the leading experts in the field of dental implants and has a special interest in management of wisdom teeth and general anesthesia. He and his team’s offices are state-ofthe-art surgical facilities equipped with the most current sterilization, anesthesia monitoring and imaging equipment. They are committed to providing compassionate care of the highest quality, in a timely and considerate manner.
Their early adoption of 3D digital imaging and computer aided planning software allows them to reduce the number of appointments and treatment time needed for dental implants. They can often place dental implants at the time a non-savable tooth is removed. They pride themselves on availability and are always happy to accept new patients. Oral surgery problems are often urgent, and they go the extra mile to accommodate emergencies. They are also certified to provide your choice of local or general anesthesia. The doctors of NHOMS are Diplomates of the American Board of Oral and Maxillofacial Surgery, and on staff at hospitals in Nashua, Manchester, Exeter and Beverly, Massachusetts.
Thank you to our peers who voted for us as Top Dentists for the 14th consecutive year! That says a lot about our team of caring professionals, and we welcome the opportunity to show you why we continue to earn our colleagues’ confidence.
If you’re looking for a dentist for yourself or your family, or just a new dental atmosphere, then come check us out! We provide comprehensive care to all ages, which makes it convenient for everyone in the family to go to one office. Our practice facility is located in the heart of Rochester with ample parking.
We are currently accepting new patients of all ages and all insurance plans. Are you putting off your own dental treatment due to finances or need payment options? We can help! Ask us about interest-free monthly payments. Call us today with questions or to schedule an appointment, or browse our website to use our easy online appointment scheduler at your convenience.
At Ambra Dental Care, we pride ourselves on treating each patient as we would our own family. Our team of caring professionals is committed to serving our patients with compassion while focusing on each individual’s specific needs.
Dr. Michael Ambra is honored to be voted a Top Dentist in New Hampshire for the tenth consecutive year. We invite you to call and explore our website to learn more about our office, our exceptional team and our care. We offer a wide range of services, and new patients are always welcome. The team at Ambra Dental Care is looking forward to helping you achieve your oral health goals!
Dr. Perry is proud to be recognized once more by his peers and NH Magazine as a Top Dentist! While the honor is deeply meaningful, Dr. Perry credits this achievement to the exceptional team at Perry Family Dental Care — a group of skilled, compassionate
professionals committed to your comfort and care every single day. From the front desk to the treatment rooms, our entire staff works together to create a welcoming, modern environment where even the most nervous patients feel at ease. Thank you for trusting us with your smiles — we’re here to make every visit a great experience.
Dr. Bartels is a Board Certified Orthodontist with ten years of private practice experience. She received her Doctorate of Dental Medicine from the University of Pittsburgh, where she graduated at the top of her class. After that, she continued her training at the University of Illinois at Chicago where she was awarded a Masters of Oral Sciences degree and a Certificate in Orthodontics. Dr. Bartels’ masters thesis studied the effect of soft drinks on enamel sealed with orthodontic primers. Her research has helped her in choosing the best products to prevent white spot lesions during orthodontic treatment. Professionally, she is a member of the New Hampshire Dental Society, American Association of Orthodontists, and the American Dental Association. Having three daughters of her own, Dr. Bartels is deeply committed to having a positive impact in the lives of children by developing their self-confidence
391 West St., Keene (603) 357-0677
18 Elm St., Antrim (603) 588-6362
perryfamilydentalcare.com
early. She believes this will be reflected in their lives as adults, and provide them power in challenging situations. “I love my job. I love helping patients and families achieve their dream smile. The transformation of my patients as they gain confidence and a new outlook on
life brings me so much joy. Seeing a person’s inner self change to match the change on the outside is the best reward.”
1F Commons Dr #36 Londonderry • (603) 434-0190 appletreeortho.com
Bedford Commons Periodontics specializes in the diagnosis, prevention and treatment of periodontal disease, which includes bone regeneration, dental implants and aesthetic tissue grafts. It has been estimated that three out of four Americans suffer from some form of periodontal disease. Treating periodontal disease can not
only lead to oral health, but overall systemic health. Recently, periodontal disease has been linked to other chronic diseases such as heart disease, respiratory illnesses, diabetes, preterm and low birth weight babies, arthritis and certain cancers.
Dr. Charles D. Neal, a 2012 and 2013 Top Periodontist, started the practice
in 1974. His son, Dr. Michael D. Neal, joined the practice in 1999 and achieved board certification in 2004. Michael Neal has also been named a Top New Hampshire Periodontist by his peers every year since 2006, and was the top vote-getter in 2008-2009 and each year from 2014-2025 for his specialty.
303 Riverway Place, Bedford • (603) 623-6639 • bedfordcommonsperiodontics.com
Braasch OMS is your premier wisdom tooth and dental implant specialist. Dr. Braasch grew up in central Pennsylvania and went on to attend Bucknell University. After graduation he obtained a master’s degree in biology at the College of William and Mary. Dr. Braasch earned his doctor of dental medicine degree from Boston University in 2009. His passion for education lead him to complete a four-year residency training program in oral and maxillofacial surgery at Virginia Commonwealth University in Richmond, VA. Dr. Braasch is boardcertified by the American Board of Oral and Maxillofacial Surgery. Dr. Braasch has been practicing oral surgery in southern New Hampshire since 2013. Braasch OMS opened in January 2024 in Bedford with a strong dedication to providing the highest quality oral surgery to their patients in a comfortable environment. Dr. Braasch works with an
amazing team that shares his passion for providing personalized, patient centered care! Dr. Braasch is a leading expert in wisdom tooth extraction, dental implant therapy including full mouth reconstruction, immediate implant placement and bone grafting procedures
as well as office-based anesthesia. Dr. Braasch’s newly renovated, state-of-theart office is located at:
404 Riverway Place, Building 4 Bedford • (603) 657-1984 braaschoms.com
Dr. Evelyn Bryan is a graduate of Tufts Dental School and has been in practice in the Manchester area for more than 25 years. Dr. Bryan’s practice is dedicated to providing the highest quality dental care while focusing on each patient’s individual needs. Dr. Bryan and her dedicated and caring staff are committed to providing each patient with personalized, compassionate care focusing on complete health dentistry. The office offers a full range of state-of-the-art dentistry, including implant restorations, digital radiography, CEREC (same-day crowns), in-office Zoom bleaching, custom digital dentures and implant-retained dentures, TMJ/bruxism, snore and sleep apnea appliances. We welcome you to call or look at our website to learn more about our office and care. New patients are always welcome. We are committed to helping you achieve the healthy and beautiful smile you deserve in a professional, personalized and caring atmosphere.
765 South Main St., Suite 202, Manchester (603) 622-0279 drevelynbryan.com
Dr. Janiga and the team at the Center for Dental Excellence have made their passion for patient care the hallmark of their practice. They are committed to listening to and understanding patients’ needs and concerns in order to provide patients with personalized options for achieving their dental goals. The entire team at the Center for Dental Excellence believes it is essential to advance their skills. Dr. Janiga regularly pursues advanced training in comprehensive restorative dentistry, including dental implants and cosmetic dentistry. Dr. Janiga is a member of the American Dental Association, New Hampshire Dental Society, Academy of General Dentistry, and American Academy of Cosmetic Dentistry. At the Center for Dental Excellence, patients can be assured the entire team’s focus is on excellence in dental care and service.
Expect Excellence ... you deserve it!
Dr. Fromuth strives to make each valued patient enjoy a healthy, confident and lasting smile. He makes it a point to listen first, getting to know your unique needs and goals before providing personalized care in a friendly, nonjudgmental way. He is extremely committed to continuing education, regularly pursuing advanced training so his clinical skills are second to none. Combining this with the latest in dental technology, Dr. Fromuth is truly dedicated to providing the best care possible to his family of patients. The team at Fromuth and Langlois Dental hope to welcome you in soon!
765 S Main St. #102, Manchester (603) 644-3368 manchesterbedforddentist.com
At Granite Family Dentistry, patients are welcomed by a friendly team, comfortable atmosphere and state-of-the-art dentistry. They have always had stringent infection control standards, safety measures and HEPA filtration throughout the office to keep the staff and patients safe. Dr. Sylvia Christian and her team provide exceptional dental care that will improve your smile and overall health. Dr. Christian provides general and cosmetic dentistry, implants and implant dentures, along with Invisalign. Everyone in the practice takes the time to listen to patients, and together they explore treatment options tailored to the patient. Dr. Christian feels it is important to keep up with new techniques and materials to provide the latest treatment options for her patients. To achieve that goal, she dedicates hours to continuing education and study clubs. She is also a Diplomate of the American Board of Dental Sleep Medicine, which enables her to treat sleep apnea patients with oral appliances as an alternative to CPAP. This truly is a fantastic health-centered dental office for the whole family!
1558 Hooksett Road, Suite 4, Hooksett (603) 485-4855 • granitefamilydentistry.com
Dr. Rizos prides himself in providing patients with information that will empower them to make the best decisions for their oral health. By selecting the best materials and laboratories to fabricate restorations, Dr. Rizos ensures longevity and great esthetic results. Here is what our patients say about us:
“Dr. Rizos took a complicated mess and turned it into a complete and total make over.” — Patient from Deerfield, NH
“Dr. Rizos is one of the most caring, skilled dentists to whom I have ever been in 35 years. I am amazed at his expertise...”
— Patient from Hooksett, NH
“Dr. Rizos and his amazing team are beyond impressive! … They always make you feel like you are their only patient
and treat you like family. They listen very carefully to your concerns and map out a detailed plan to address them. I am so lucky to have found them and will never think of leaving them.”
— Patient from Manchester, NH
New Hampshire native Dr. Tracey Pike graduated from the School of Dental Medicine at Tufts University in 2003, and soon opened Deerfield Family Dentistry with a vision of providing high-quality dental care at an affordable price. A member of the Academy of General Dentistry, the American Dental Association and the New Hampshire Dental Society, Greater Manchester Chapter, Dr. Pike has been practicing for over 20 years, offering Deerfield and surrounding area residents a full range of dental services close to home. From hygiene, cleanings and general dentistry, to restorative and cosmetic procedures, Deerfield Family Dentistry continues to please patients year after year with their attentive staff, state-of-the-art equipment and comfortable, relaxed environment. A long-standing, locally-owned small business, Deerfield Family Dentistry proudly supports the town and surrounding areas. Dr. Pike’s passion for community service truly shows; Deerfield Family Dentistry regularly sponsors area events, donates to local charities and participates in global humanitarian dental missions, bringing smiles to Deerfield, NH and beyond.
49 Cotton Rd., Deerfield (603) 463-7240 deerfieldfamilydentist.com
The team at 603 Dental aims to provide superior service and quality dental work for your family at its state-of-the-art facility, which exceeds the safety recommendations set by the Centers for Disease Control and Prevention and OSHA. Here, you’ll know that your well-being is the top priority. Dr. Anthony Manfredi, a native New Englander, earned a bachelor’s degree in health sciences from Northeastern University before obtaining his doctorate from Boston University School of Dental Medicine. He has been practicing at the Londonderry office for several years. Dr. Muhenad Samaan also completed his education in general dentistry at Boston University. He has been practicing dentistry in Southern New Hampshire for more than 15 years. With their team of experienced hygienists, the dentists at 603 Dental are committed to providing exceptional care with services including general dentistry, cleanings, fillings, implants, and veneers.
Dr. Anthony Manfredi and the team of 603 Dental
75 Gilcreast Road, Unit 104, Londonderry (603) 434-5150 603dentalnh.com
We would like to thank all our peers for voting us as one of the top dentists in the state of New Hampshire. It is an honor to serve our community’s dental needs since 1978. Our family dental office offers top notch dental treatment for kids, youths, and adults. Our services include cleaning, fillings, crowns, root canals, extraction and implants. We are proud to be among the very few general dental offices that utilize the latest 3D/ CBCT imaging technique to improve our patients’ dental diagnoses. Infection control and adhering to the latest CDC guidelines are top priorities in order to provide a safe and healthy environment for all patients and staff. Please call our office to make an appointment for you and your family!
Muhenad Samaan, DMD 401 Riverway Pl., Bedford (603)625-9606 bedfordcommonsdental.com
Renowned for his warm, friendly approach, Dr. Bryan Hoertdoerfer (affectionately known as Dr. H) leads the team at Hoertdoerfer Dentistry with a commitment to excellence in patient care. Combining compassionate service with advanced dental technology, Dr. H and his team create a safe, welcoming, and anxiety-free environment for every patient.
Driven by a passion for innovation, Dr. H continually researches and adopts the latest advancements in dental care. From routine cleanings to cosmetic and restorative procedures, patients benefit from greater comfort and efficiency. Services include same-day CEREC porcelain crowns, CBCT 3D digital scans with low radiation, veneers, implant restorations, dentures, partials, bridges, sealants, and Philips ZOOM in-office teeth whitening.
Patient safety is a top priority. The office is equipped with HEPA air filtration, advanced purification systems, and individual self-contained water filtration in each treatment room. Beyond dentistry, Dr. H is deeply committed to giving back. Through his
work with the NHL, NHL Alumni, and the Boston Bruins, he supports numerous philanthropic efforts and consistently contributes to cancer-related causes and initiatives at Elliot Health System.
To learn more or join the Hoertdoerfer Dentistry family, visit bruinsdentist.com.
4 Elliot Way, Suite 306, Manchester • (603) 669-1251 • bruinsdentist.com • bigzchallenge.com
At Lindner Dental Associates P.C., you are welcomed by an inviting staff, family-friendly atmosphere and a state-of-the-art facility. We have been providing high-quality dental care to patients of all ages since 1985. Our multi-specialty practice includes Board-Certified Pediatric Dentistry, Board-Certified Orthodontics, Adult and Cosmetic Dentistry, BoardCertified Oral Surgery, Therapeutic and Cosmetic Botox.
Community is an essential part of our practice and we are so grateful to be recognized by our peers as Top Dentists again this year. We are thankful and truly honored to work in such a wonderful and supportive community.
72 South River Road, Bedford (603) 624-3900 LindnerDental.com
We are very honored to be named again as one of the top dentists in the state of New Hampshire by our peers! Our brand-new facility, located in the heart of the North End of Manchester, offers the best dental treatment for all ages!
Our services include cleaning, fillings, crowns, root canals, extraction and implants. Our hygiene department is a particular strength, providing excellent cleaning, diagnostic X-ray, and promoting oral hygiene care to prevent dental diseases, including caries and periodontal diseases. Our practice also offers digital X-ray, which reduces unnecessary radiation significantly, and obtains the image instantly to a computer screen. Infection control and adhering to the latest CDC guidelines are top priorities in order to provide a safe and healthy environment for all patients and staff. Please call our office to make an appointment for you and your family.
Creating beautiful smiles with great patients. It’s what we do best.
A confident smile makes a world of difference in one’s life. At Mehan & Johnson Orthodontics, we are confident that we can create that beautiful smile for you to put your best foot forward.
Our office has served New Hampshire for over 32 years. We are blessed to have provided quality care for multiple generations of our patients. We use the latest technology in orthodontics to create great smiles in a gentle and timely fashion, but it is the way people’s lives are changed that sets our office apart.
Dr. Johnson and his staff will do their best to earn your confidence for the treatment you desire. Please visit our website at NHorthodontics.com and Facebook to get a feel for our office.
Welcome to Nashua Riverfront Dental. Located in the historic Nashua Telegraph building along the river in beautiful downtown Nashua, our practice offers exceptional care for the whole family. Led by Dr. Franklyn Liberatore (Dr. Franco) and Board-Certified Periodontist Dr. Francesca Failla (Dr. Fran), we provide general, pediatric, periodontal, and implant dentistry—all under one roof. We proudly offer advanced digital technology for accurate diagnosis and precision treatment. Whether you’re seeking routine care, cosmetic enhancements, or complex periodontal solutions, our team delivers personalized, anxiety-free dentistry in a warm, welcoming environment. We value the trust our patients place in us and are honored to be recognized as one of the top dental offices in New Hampshire. New patients of all ages are always welcome—we look forward to caring for your smile and making you feel right at home in the Nashua Riverfront Dental family!
60 Main St., Suite 330, Nashua (603) 886-2700 nashuariverfrontdentistry.com
At North End Dental Care, we combine small-town hospitality with leadingedge technology to bring you the latest and best that dentistry has to offer. Dr. Christopher Moriarty and our dental care team understand that trips to the dentist can be stressful for many of our patients. Our goal is to do whatever it takes to improve your comfort to the point that maintaining a healthy smile becomes something you want to do, not something you have to do. Our entire team is proud of the warm and inviting experience that our patients enjoy in our office. State-of-the-art digital diagnostics and treatment planning ensure an optimal outcome for your preventive, general, cosmetic, and specialized dentistry with us. We make your comfort a priority by providing the high standard of compassionate treatment we would expect for our own families.
Dr. Vaughan, Dr. Lottinger and the Concord Oral Surgery team are grateful for the opportunity to care for the individuals referred to us by our colleagues in Concord and the surrounding communities. Our team is committed to providing our patients with the highest level of surgical care and attention to detail. We want each person to immediately feel the patient-centered approach that our practice revolves around. Our staff members are here to provide support each step of the way, from scheduling appointments, researching insurance coverage, or just providing a smile and a kind word. Each day we strive to exceed our patient’s expectations with compassion and detailed communication. As a team, it is our goal to build and maintain great partnerships with our referring colleagues, our patients, and each other.
194 Pleasant St. Suite 13, Concord (603) 225-3482 • concordoralsurgery.com
We are pleased to announce that Dr. Fleury has been voted by his peers — since 2015 — as a Top Dentist as published by New Hampshire Magazine. It is an honor and Dr. Fleury and his team at Circle Dental are thankful. Community support and education is at the heart of Circle Dental. We strive to stay current with the best and latest dentistry has to offer, which is reflected in our warm and welcoming state-of-the-art office. At Circle Dental we offer a wide range of services, including dental implants, sameday crown placement, Invisalign, as well as cosmetic services. We are proud to serve our community with the highest standard of care!
At Great Outdoors Pediatric Dentistry, we speak kid. Upon arrival, they realize they are at a special dentist with kids’ movies, fun toothbrushes, and a prize at the end making every visit easy. Your kids will be asking when they can come back! Dr. Wilson, with over twenty years of experience as a board-certified pediatric
173 NH Route 104, Suite A, Meredith (603) 515-4060 • circledentalnh.com
dentist, ensures your child’s comfort from routine check-ups to in-office sedation and everything in between. We provide an exceptional dental experience in a warm, comfortable setting, encouraging families to enjoy the great outdoors and maintain healthy smiles for a lifetime.
1 John Parsons Drive, Somersworth 603-343-1228 gopediatricdentistry.com
Brighter Smiles Start Here
Trusted by families and colleagues since 1987
Dr. Diane Shieh and Dr. Katie Jo Hunt of Amherst Orthodontics are honored to be recognized as Top Orthodontists in NH. With over 25 years of experience, you can be assured of their commitment to delivering honest opinions with health and prevention in mind.
Why Families Choose Us:
• Kid-focused care & flexible financing
• Ex perience and warmth
• Two Board Certified Orthodontists
• Free New Patient & Virtual Exams
For free virtual consultations — scan the QR code.
“Dr. Diane and her staff are AWESOME! Great group and I highly recommend them if you need braces or Invisalign. The end results are worth the time and investment. Thanks to all!” –Karen G.
5 Overlook Dr. #6, Amherst • (603) 672-0844 • amherstorthodontics.com
Dr. Esther Kim, the lead practitioner of our respected dental practice in Nashua, is thrilled to welcome patients to Beyond Dentistry of Nashua.
With over 50 years of history, our practice is recognized as one of the most trusted and comfortable dental centers in the area. We are committed to providing top-quality, comprehensive care with a focus on clear communication and patient comfort. Using the latest advancements in dental technology and treatments, we strive to restore the health, function, and radiance of your smile.
Our premier dental office in Nashua serves as a one-stop shop for all your dental care needs! Here, we provide an extensive range of dental solutions encompassing family dentistry, cosmetic dentistry, periodontics, pediatric dentistry, laser dentistry, and so much more! With us, you can manage all your oral health requirements at our easily accessible Nashua location.
76 Allds St, Suite 6, Nashua, NH • (603) 882-3001 • beyonddentistryofnashua.com
Dr. Jill Harrison, a NH native and graduate of Brown University and the University of Pennsylvania, established Harrison Dental Arts in 2019 with the goal of providing comprehensive dental care to patients in the Seacoast area. Dr. Harrison and her team focus on providing a unique experience to patients so all aspects of their dental health, from function to esthetics, can be addressed, and patients can be involved in their care. Dr. Harrison, whose passion is cosmetic and restorative dentistry, has been voted one of NH’s Top Dentists for seven of the last eight years. She and her team utilize the newest technology including intraoral scanners, digital photography, and digital x-rays to treat patients in their bright, comfortable office located in Portsmouth, right off Interstate 95 at Exit 3, in Orchard Park.
Serving the Portsmouth area, including Greenland, Rye, Newington, North Hampton, Hampton, Kittery and Eliot 875 Greenland Rd., Suite B7, Portsmouth • (603) 501-0263 • harrisondentalarts.com
Dr. Rothwangl and our entire team would like to sincerely thank our colleagues for recognizing her as one of the top dentists in New Hampshire. We are also deeply grateful to our amazing patients for trusting us with their care — it is truly our privilege to serve such a wonderful community.
At Rothwangl Dental Care, we are dedicated to providing the highest standard of care in a warm, family-focused environment. We emphasize education and prevention, guided by the core values of compassion, trust, and clinical excellence. Our commitment to continuous learning and the integration of advanced technologies allows us to deliver the most comprehensive care possible.
We are proud to foster a professional, inclusive, and caring space — one that not only supports health but also encourages positive change in our community.
We truly value the relationships we’ve built with our patients and look forward to welcoming you to our dental family.
174 State Route 101, #1, Bedford (603) 472-5733 rothwangldentalcare.com
Because of your support, we are again honored to have been recognized by our community and colleagues as one of New Hampshire’s Top Dentists. Dr. Ernie Domingo and his Bay Street Family Dental team have been providing great dental care for the community (from youth to adults) for the past 23 years. “Our vision is to continuously provide outstanding, patient-centered dental care in a comfortable and caring environment,” Dr. Domingo says. “You know you’re in the right place when you
come to our inviting, homey atmosphere. Our team demonstrates their personalized care to make you feel welcome.” We are delighted about our loyal, long-term patients and we always welcome new patients from the community. It’s time, right? Call Dr. Domingo and our Bay Street Family Dental team today at (603) 624-1342.
33 Bay St., Manchester (603) 624-1342
baystreetfamilydental.com
We’re proud to announce that Dr. Michael Marshall has once again been named a Top Dentist and is the top vote getter in the endodontic category. With nearly 35 years of service to the community, Dr. Marshall continues to set the standard for compassionate, high-quality care. This year, Dr. Marshall has teamed up with Dr. Hongsheng Liu of New England Endodontic Solutions.
Dr. Liu, a Clinical Associate Professor at Boston University and former pediatric dentist with over 23 years of clinical experience, is highly respected for his expertise in both conventional and surgical endodontics. Joining them are Dr. Gagan Dhaliwal and Dr. Shannon Wong, very talented graduates of Boston University who share the team’s commitment to excellence. Every case is approached with state-of-the-art tools—CBCT imaging, surgical microscopes, digital radiography, and rotary instrumentation—to ensure optimal outcomes and patient comfort. With locations in Bedford, Londonderry,
and Methuen, we are proud to offer advanced, patient-centered endodontic care across Southern New Hampshire and Northern Massachusetts.
77 Gilcreast Road Suite 2000, Londonderry (603) 425-2307 neendosol.com
At Family Dental Care of Milford, you will find a friendly atmosphere, comfortable accommodations and exceptional dental services. Our goal is to provide you with comprehensive dental care to enhance the quality of your life Family Dental Care of Milford offers a variety of cosmetic, restorative and preventive dental services designed to improve your smile and overall health. Our goal is to enhance your physical comfort, outer appearance and your inner confidence. Our pledge is to provide excellence and establish rewarding, lasting relationships with patients, encouraging beautiful smiles and promoting exceptional oral health for a lifetime! For more information about our practice, please visit our website.
154 Elm St., Milford (603) 556-4399 fdcmilford.com
Dr. Rochefort and his team are very thankful and appreciative for once again being recognized as one of New Hampshire’s Top Dentists! As our team grows, we continue to welcome our patients with the care, comfort and personalized approach they have come to expect and appreciate. We make it our priority to provide quality dental care emphasizing oral health and prevention while also helping
patients achieve the smile they have been looking for. And yes, it’s TRUE — we ARE able to complete most fillings without getting you numb thanks to our Solea dental laser! Come visit us and see how we are practicing tomorrow’s dentistry today!
801 Central Ave., Suite 5, Dover (603) 742-0711 dovernhdentist.com
BY KAREN A. JAMROG / PHOTOS COURTESY UNH COOPERATIVE EXTENSION, COLSA ARCHIVES
To some, it’s a pile of rotting stuff. To many gardeners, it’s future “black gold.” To bugs, it might be lunch.
While the value of a compost pile might be in the eyes of the beholder, there’s no denying the many benefits it brings. And just about anyone can make compost — even city dwellers or others who don’t have a large yard.
Compost is the result of a natural process in which microorganisms such as bacteria and fungi break down organic material, such as kitchen and yard waste, and transform it into nutrient-dense fertilizer that enriches
soil, nourishes plants, and enhances soil’s ability to retain moisture.
Compost helps prevent compacted soil, so plants can stretch their legs, even as it reduces soil erosion. It’s like Linus’ blanket wrapped around Charlie Brown’s Christmas tree, only underground and better.
All this, plus it’s free and eco-friendly, as it diverts waste that would otherwise end up in a landfill, where it would release methane, a potent greenhouse gas.
Many people hesitate to compost their waste, though. Some aren’t sure where to
start or worry that a compost pile will attract nuisance animals. “They think it might smell or be offensive as all that organic waste breaks down,” says Steph Sosinski, home horticulture program manager for UNH Extension. People also don’t want to wait for the compost to be ready to use.
That last concern is a valid point. The composting process does take time, often about a year or more, but it is possible to speed up the process, if you don’t mind managing your compost pile more closely by turning your pile more often, for example.
Otherwise, the easiest approach is to find a place on your property where you can have a pile of compostable material, “let it sit until it’s broken down, and then you can use it. It’s as simple as that,” says Henry Homeyer, of Cornish Flat, who writes and speaks often on gardening topics.
Using a bin or other container is optional, but a nonnegotiable part of successful composting is maintaining a well-balanced mix of carbon and nitrogen in your pile. This means your pile should consist of three parts “brown” material — such as dry leaves, paper, and cardboard — to one part “green” material — such as grass clippings and food waste. Acceptable food waste includes fruit and vegetable scraps, banana peels, coffee grounds, and used tea leaves (minus synthetic teabags and staples). Eggshells are also OK, but to avoid potential problems, do not put meat, dairy, oily products, or pet waste in your compost pile, and do not put diseased or invasive plants or grass clippings treated with herbicides or pesticides in there, either.
If you follow these basic do’s and don’ts and add water to keep your compost pile damp but not sopping wet, your pile will not smell rancid or attract pests and will eventually turn into usable compost, Sosinski and Homeyer say.
Constructing a precisely layered pile isn’t necessary, but building on a base layer of small branches or twigs can help with drainage and air circulation.
“It’s basically a self-managing process if you have the right balance of materials,” overall, Sosinski says. “It’s its own ecosystem, really.”
If you want usable compost sooner and don’t mind the hassle, turn your pile as much as every few days during the summer, but leave it be in the colder months to prevent heat loss. Create a pile that’s equivalent to at least the size of a large garbage can to “really get (it) cooking,” Homeyer says, and speed decomposition by chopping or shredding waste rather than throwing in large pieces. You can even monitor the temperature of your pile to make sure it’s toasty enough for the microbes to do their thing.
“There are people who are obsessed” with optimizing their compost piles, Homeyer says, but there’s no need to fuss. “I’m pretty lackadaisical about the way I go about it personally, and it works fine.”
If you don’t have a lot of outdoor space,
Constructing a precisely layered pile isn’t necessary, but building on a base layer of small br anches or twigs can help with drainage and air circulation.
The benefits of composting range from waste reduction to improved water retention and enhancement of soil biodiversity.
If you want to try composting but think it will be too much of a hassle, perhaps you’ll take inspiration from the folks at the Mount Washington Observatory. Workers and volunteers at the 90-year-old research institution have been composting in some fashion for years but have occasionally run into headwinds due to the practical issues that come with composting at 6,288 feet.
“It’s not like we can just throw stuff in the backyard,” half-jokes Wendy Almeida, the observatory’s development officer.
Recently, though, the observatory teamed up with Highwater Farm, a small family farm in nearby Bartlett. Each week, an observatory staff member ferries the compostable waste produced by employees, volunteers, and visitors down the mountain and drops it off at the farm, where the composting process is completed and the transformed waste is used as fertilizer for the farm’s vegetables and berries. Meanwhile, another bucket remains up on the summit, ready to be filled during the coming week.
Despite the challenges that come with composting atop the highest peak in the northeastern United States, Almeida says observatory staff and volunteers have never wavered in their determination to do it.
“We knew we had to figure out a way to make this work,” Almeida says.
Given the observatory’s mission to advance the understanding of atmospheric science, it’s only natural, she says, that “we want to minimize our impact on where we work ... despite the logistical challenges of it.”
“It’s basically a self-managing process if you have the right balance of materials. It’s its own ecosystem, really.”
—STEPH SOSINSKI
you can still compost in a simple way. Take advantage of curbside collection of compostable waste or a drop-off location in your city or town, if it’s available. Other options include composting on your balcony or patio.
Remember, yard waste isn’t a necessary component of compost; just be sure to have the proper ratio of browns and greens. If you’re not overly squeamish, you can even try vermicomposting, which uses worms to help break down waste that you keep in an indoor or outdoor bin.
When compost is dark and crumbly with an earthy smell and no noticeable undigested chunks, you can at last sprinkle it in the pots of houseplants or add it to outdoor vegetable and flower beds. Most plants will benefit from compost, aside from those, such as cacti, that prefer a less rich soil. You can also offer your finished compost to a local farm or community garden, or to friends and family who have gardens or houseplants.
Those who give composting a try “quickly turn into enthusiasts,” Sosinski says. Give it a shot, and you’ll swell with Yankee pride knowing that you’ve done a good deed for the world, at zero cost. You might also never look at a banana peel the same way again. NH
For more information and composting tips:
NH Recycles: nhrecycles.org/resources/ food-waste-composting-diversion-services
UNH Extension: extension.unh.edu/resource/ composting-home-gardener-fact-sheet
NH Department of Environmental Services: des.nh.gov/news-and-media/blog/food
Celebrating your LOVE, while LOVING your celebration!
Discover Hyla Brook Estate: your new go-to for modern farmhouse elegance! Nestled on 9 beautiful acres in Derry, NH, our stunning private garden estate is perfect for weddings, corporate events, showers, anniversaries, and more. With multiple indoor and outdoor spaces, we create the ideal backdrop for unforgettable celebrations. Experience laid-back luxury like never before—where every occasion becomes a cherished memory!
Each of our pieces is thoughtfully designed and artisan-made to elevate your everyday experiences while ensuring durability and style.
Osgoode Marley was founded in North Hampton, New Hampshire with the belief that fine leather goods should be crafted with quality materials and integrity. In 1998, we introduced our first line of wallets on this tenet. We remain dedicated to creating classic yet contemporary pieces that stand the test of time.
We practice a philosophy of “mindful style, minimal waste,” by expertly sourcing genuine leather from Buenos Aires, Argentina
and working diligently to create the most yield from a single hide. Our artisans craft each item in a small production setting with vigilant inspections at all production stages.
Though our products are sold all over the world, North Hampton is our home. Our team remains small and close-knit, which allows us to provide a flawless shopping experience by personally handling orders and customer requests.
JULY 26-AUGUST 3
Sunflower Festival
Coppal House Farm turns into a sea of sunflowers every July during the New Hampshire Sunflower Festival. The farm offers a unique variety of sunflowers that can produce sunflower oil! Unlike ornamental blooms, these sunflowers only bloom for about 10 days, so the window to witness this stunning sight is short. 118 North River Road, Route 155, Lee. nhsunflower.com
AUGUST 3
The 2025 tour is the biggest Outlaw tour to date, featuring an unparalleled lineup of legends and superstars, including Willie Nelson & Family, Bob Dylan, Billy Strings, Nathaniel Rateliff & The Night Sweats, Sheryl Crow, Turnpike Troubadours, The Avett Brothers, Wilco, The Red Clay Strays, Lake Street Dive, Waxahatchee, Charles Wesley Godwin, Lucinda Williams, Bruce
AUGUST 2-10
Since 1933, Sunapee has been the home of the nine-day storied craft fair, and features the juried work of hundreds of League of N.H. Craftsmen members with sales booths, interactive demonstrations and curated exhibitions. This event attracts over 20,000 visitors annually and hosts a wide range of creative experiences you’re guaranteed to find every year. Mt. Sunapee Resort, 1398 New Hampshire Rte 103, Newbury. For ticket prices and more information, visit nhcrafts.org. New Hampshire Magazine is a proud sponsor of this event.
Hornsby & The Noisemakers, Trampled By Turtles, The Mavericks, Sierra Hull, Willow Avalon, Waylon Payne, Madeline Edwards, Lily Meola, Myron Elkins, Tami Neilson, and more. 3:45 p.m., BankNH Pavilion, 72 Meadowbrook Lane, Gilford; banknhpavilion.com
AUGUST 1-2
With more than 1,000 miles of interconnected trails, ATV-friendly towns, great locally-owned businesses, tasty restaurants and evening entertainment to get you up and moving, you won’t want to miss the most action-packed weekend of the summer season. This year, you’ll find a variety of offerings from past events, with more time to explore the trails, local businesses and our communities with family and friends. Locations and times vary. Berlin. androscogginvalleychamber.com
AUGUST 1-3
This event, put on by the Suncook Valley Rotary, has something fun for everyone in your family. There will be a carnival, tethered hot air balloon rides, helicopter rides, a craft fair, food, drinks and so much more. Free to attend. Times vary. Drake Field, 17 Fayette St., Pittsfield. pittsfieldnh.gov
AUGUST 2-3
This family-fun event features a corn hole tournament, a kids zone (with free bounce houses), a whoopie pie eating contest, face-painting, artisans, music, food trucks, caricature drawings and more. $5. 11 a.m. to 5 p.m. and 11 a.m. to 4 p.m. Hampshire Dome, 32 Emerson Road, Milford. gnefoodtruckfest.com
LaBelle Winery, 2025’s Best of NH Reader’s Poll “Best Winery” winner, has dozens of events throughout the month at both their Derry and Amherst locations. While you’re there, you can enjoy their award-winning wine and beautiful vineyards. Here are some of their upcoming events. Visit labellewinery.com for times and ticket info.
AUGUST 2
AMHERST: Outdoor Pilates Class at the Vineyard DERRY: Outdoor Yoga Class at the Vineyard DERRY: Murder Mystery Dinner Party: Hippie Homicide
AUGUST 5
DERRY: Swing, Sip and Savor Golf Event
AUGUST 8
AMHERST: Spice Lovers: Four Course Dinner
AUGUST 9
Woods, Water and Wildlife Festival
This day-long celebration of the great outdoors is a chance for families to have fun, explore and learn about the natural world together, and features fun and educational outdoor activities. Take a hayride to the river, observe and learn about NH wildlife, take a discovery walk, watch demonstrations of traditional skills, try your hand at fishing, do crafts with your kids, enjoy food trucks and more. Prices vary. 10 a.m. to 3 p.m., Branch Hill Farm, 307 Applebee Road, Milton Mills. (603) 473-2020; mmrgnh.org
AUGUST 9-17
Sunfox Farm Sunflower Bloom Festival
Twenty acres of sunflowers await you at Sunfox Farm’s 6th annual Sunflower Bloom Festival! The event will take place at their new 57-acre farm in
AUGUST 14
DERRY: DIY Candle Making Workshop
AUGUST 20
AMHERST: Paint and Sip Workshop; Summer Painted Wine Glasses
AUGUST 21
DERRY: Tramps Like Us: Bruce Springsteen Tribute Concert
the heart of Concord, New Hampshire’s capital city. Walk through the fields and experience the beauty and vibrancy of sunflowers towering over you, stretching nearly as far as the eye can see! During festival weekends, in addition to the beautiful blooms, enjoy local musicians, a variety of vendors showcasing unique offerings, and food trucks too. Concord. sunfoxfarm.org
AUGUST 11
There’s no better place to be a kid than at Hampton Beach! The Hampton Beach Children’s Festival will delight the young (and young at heart) with magic shows, storytelling, a costume parade and more! Free, times vary. Hampton Beach State Park, NH Route 1A, Hampton. hamptonbeach.org
AUGUST 15-17
Since 1950, the Cornish Fair remains a traditional, family-friendly, educational, agricultural fair offering fruits and vegetable exhibits, horse- and oxen-pulling, 4-H, crafts, children’s activities, live entertainment, vendors, amusement rides and more. The Cornish Fair is also home to the largest dairy show in all of New Hampshire, and remains committed to the education and sustainability of the agriculture industry. Prices and times vary. 294 Town House Road, Cornish. (603) 675-5426; cornishfair.org
AUGUST 15-17
With two decades of festival sand and a bevy of national blues preservation awards under its belt, this boogiefest is not to be missed. This year’s lineup includes Gracie Curran & The High Falutin’ Band, Nick Moss, Blood Brothers and so many more! To really dive into the festival experience, rent a campsite on the Boogie’s sprawling White Mountains grounds. Prices and times vary, Sugar Shack Campground, 210 NH Route 175, North Thornton. (603) 726-3867; whitemountainboogie.com
AUGUST 16
Following the 5k that starts on Sargent Road and ends at the Londonderry Athletic Fields, participants, their friends and families can enjoy a brewfest with more than 15 participating breweries. At the brewfest, you’ll unwind with a bonfire, and enjoy live music and delicious food until the night ends. Please bring cash, as credit cards may not be accepted with all vendors. Registration required. 6:30 p.m. 98 Sargent Road, Londonderry; millenniumrunning.com
AUGUST 16-17
Mount Washington Valley Summer Craft Fair
Come and join the fun with live music, food, face-painting and amazing arts and crafts exhibitors. 10 a.m. to 5 p.m. 1 Norcross Circle, North Conway; joycescraftshows.com
AUGUST 22-23
Annual North Country Moose Festival
The weekend before Labor Day means it’s time for the North Country Moose Festival! This year’s festivities will include a moose-calling contest, parade, live music, artisan and craft vendors, and family favorites such as a dog show and maple-syrup-tasting contest — not to mention the classic car show! You can even soak your feet in the Mohawk River! Don’t forget to head down the road to Dixville Notch State Park, where you might spot a moose of your own! On Saturday, head over the border to Canaan, Vt., for a down-home country fair. Free, times vary. Colebrook, chamberofthenorthcountry.com
As summer starts winding down, head to Nashua for one last beer-fueled hurrah. An extensive beer list, live music, a corn hole tournament and more are on tap. $15-$70. 1-5 p.m., Holman Stadium, 67 Amherst St., Nashua. gatecitybrewfestnh.com. New Hampshire Magazine is a proud sponsor of this event.
Run 10 miles. Attend after-party. Repeat? This event takes runners on a near-half-marathon run around the perimeter of Massabesic Lake, then rewards them with a free post-race beer. Registration required. 8 a.m., Massabesic Lake, 1 Londonderry Tpke., Manchester. (603) 488-1186; millenniumrunning.com
AUGUST 26
Massabesic Gardens Tour
Join the NH Audubon for an intimate guided tour of the gardens at the Massabesic Center in Auburn. They will lead you on a fun ramble of the grounds, and dig into the history, upkeep and future of each of their unique garden spaces. You’ll learn about NH Audubon’s partnership with the University of New Hampshire Extension’s Master Gardener Program to create Demonstration Gardens that provide a place for sharing best practices in eco-friendly home and community gardening, for human health and well-being and wildlife habitat. Free, 5:30-7 p.m., Massabesic Center, 26 Audubon Way, Auburn; nhaudubon.org
AUGUST 30-31
Labor Day Weekend Craft Fair
With more than 110 exhibitors and unique local products, you won’t want to miss this craft fair at scenic Gunstock. 10 a.m. to 5 p.m., 719 Cherry Valley Road, Route 11A, Gilford; joycescraftshows.com
AUGUST 30—31
Exeter UFO Festival
Celebrate all things extraterrestrial in beautiful downtown Exeter. Learn about the “Incident at Exeter” and other UFO- and paranormal-related topics with your fellow earthlings! The festival features a variety of speakers, panels and activities. Besides being the focus of the famous “Incident at Exeter,” the town offers a quaint downtown full of restaurants and shops. Exeter is also the home of the American Independence Museum and Swasey Parkway. exeterufofestival.org
Find additional events at nhmagazine.com/ calendar. Submit events eight weeks in advance to Elisa Gonzales Verdi (events@nhmagazine.com) or enter your own at nhmagazine.com/calendar. Not all events are guaranteed to be published either online or in the print calendar. Event submissions will be reviewed and, if deemed appropriate, approved by a New Hampshire Magazine editor.
The kids are going off to college — how are parents coping?
BY KRYSTEN GODFREY MADDOCKS / PHOTO BY MONKEY BUSINESS IMAGES
This month, Judy Pinkham and her husband, Bill Charland, of Portsmouth, NH, will join thousands of other parents seeing their children off to college for the first time. Their son, 18-year-old Daniel Charland, will be living in a residence hall six hours away from home, at Syracuse University.
Daniel had been a quiet, shy student. He thrived when his middle school moved to remote learning during the pandemic. Later in high school, he emerged from his shell. Suddenly, the kid who had never been interested in going away to summer camp was interested in exploring universities as far away as Colorado, Pinkham says.
“And we’re like, ‘Oh, OK.’ He and I jumped on a plane, and we went out to Colorado. Thankfully, I have friends who are out
there,” she says. “And I said to my friends, so if he picks this, you’re going to be like pseudo parents (to him). But eventually, his number one choice was Syracuse.”
Although New York is much closer to New Hampshire than Colorado, Pinkham expects drop-off day to be an emotional one for her family after they return home. Her youngest son, Ryan, will still live with them, but the family dynamic will change.
“Will I be crying as we pull away from Syracuse University? Yes. Do I believe that he is ready for this? Absolutely. Hands down, he is so ready for this,” Pinkham says.
When children leave for college, many parents experience a mix of worry, sadness and pride. While most universities offer programs to help first-year students cope with their newfound independence, parents
often struggle with how to navigate their own feelings. They not only wrestle with the distance, but they also suddenly shift to a different role — and much have much less access to their children’s medical record, grades and schedules.
“It’s a big shift,” says Felix Pizzi, a licensed clinical mental health counselor and assistant vice president for student health and well-being at Southern New Hampshire University. “Medical information becomes private, and the same goes for academic and conduct records, unless the student gives permission.”
Gone are the days when parents and students chatted on the phone weekly. Now, parents can check in on their children anytime, thanks to text messaging, FaceTime and social media. According to a 2024 Pew Research Center study, 73% of parents surveyed said they texted, and 54% said they talked on the phone or video chatted with their children at least a few times a week. Parents reported being “largely satisfied” with how often they communicated with their kids and with their overall level of involvement in their lives.
What are they talking about in these exchanges? Young adult children ask their parents for advice on topics like mental health (26%), friendships (21%) and romantic relationships (20%), the study said. But the desire for emotional support seems to go both ways. Almost 30% of parents in the survey reported relying on their children for some degree of emotional support.
This almost constant communication can thwart a student’s independence and keep them from developing critical problem-solving skills and emotional resilience. For example, listening to your child complain about their new roommate daily and becoming involved in their interpersonal drama might not be good for either of you.
“Part of maturing is being able to learn how to manage conflict and arguments. And also, for parents to rest assured that there are supports (at residential colleges) for students,” Pizzi says. “Ideally, the student will be asked to attempt to resolve the conflict with the individual themselves, and if not, then reach out to college staff to help solve it.”
At Southern New Hampshire University, staff recognize that families need support and take a proactive approach to help them navigate the logistical complexities of sending a student to college for the first time. For example, the university’s on-campus student orientation programming includes sessions for parents and guardians to help connect their students with any services or accessibility accommodations they need to successfully transition to independent college life.
While SNHU doesn’t yet have formal programming to support parents’ emotional transitions, Pizzi says it’s something they’re considering adding.
“We’re noticing this generation of students has a high reliance on parents in contrast to perhaps other generations,” he says. “I have colleagues that work at the high school level. And there are kids that can’t go a few hours without texting their parents. They’re in constant communication. College is a different experience where, especially if people are living away on campus, they may want something different.”
At move-in, SNHU establishes a “goodbye” time to prevent parents from lingering too long. To set expectations, Pizzi recommends families plan ahead how they’ll end the day. He suggests that parents communi-
cate to their child what schedule will look like and what will happen after they leave to help the student emotionally prepare for what comes next.
At the same time, Pizzi recommends that parents and students set communication expectations in advance to avoid feelings of guilt or intrusion on either side. Talk about what you need as a parent, listen to the communication needs your student has, and then make a plan, he suggests. Then, you can follow it and reassess it if needed.
“Once you have a starting place, you can agree that we’re going to talk every Tuesday night and every Saturday morning, as an example. And then you can gauge. Is that feeling frequent enough?” he says. “And I think as a parent you’re able to follow what the student might need in the developmental place that they’re in.”
While it may seem tempting to monitor students from home, Pizzi urges parents to maintain healthy boundaries. Getting into a student’s personal accounts, such as email or social media, can become intrusive. The challenge of parenting is to tolerate the independence students need to have, he says.
“In high school, the parental role is like being in the driver’s seat. In college, you shift to being the co-pilot, giving advice and helping the student resolve problems themselves,” he says.
Ultimately, Pizzi says the best thing a parent can do is to model confidence for their first-year student, even if they feel unsure of themselves.
“Our task is to be confident in our children’s ability to conquer the world,” he says. “ The more we believe that, the higher the chances are that they can.”
Pinkham says she and her husband have a close, open relationship with Daniel, but they won’t be tracking his whereabouts on campus or following his every move on social media. Right now, she intentionally has very limited access to his social media and plans to give her son the space he needs to acclimate to college life.
“We’ll be there for parents’ weekend. But we told him we’re paying for a really good school. We’re expecting you to do your work, and we’re expecting you to have great friends and surround yourself with great opportunities,” she says. “And you know, we’re the kind of the parents that are going to take it as it comes without too much structure around it.” NH
BY BRION O’CONNOR
They walk among us, these quiet, everyday heroes. They’re often underappreciated, except for those who know them best. They’re not bombastic. They don’t draw attention to themselves. They don’t crave fanfare or adulation. Giving back, and a job well done, is reward enough.
Timothy Joseph Crutchfield, who passed away from leukemia last April at 65, was such a hero.
“He was truly good at living, my dad,” said Connor Crutchfield, the third of four Crutchfield children. “Every day was a master class in gratitude, love and happiness. Quick to smile, slow to anger, a full-body laugh with a contagious sense of humor, and otherworldly patience, he was just a joy to be around, let alone call my dad.
“It really felt like he lived the way he wanted to, and that’s made me think a lot about what it means to find success in life,” Connor said. “Because what more can one wish for than to live that way, to love without expectation, and to inspire the people around you to do the same?”
Tim Crutchfield was a Granite Stater,
through and through. Born in Concord, he went to Bishop Brady (where he was voted “Most Popular” and “Class Clown”), and attended the University of New Hampshire after a post-graduate year at Kimball Union Academy. At UNH, he played lacrosse and earned an economics degree in 1984.
He married his college sweetheart, Heather Reynolds, and the couple made St. Paul’s School their home for the next 38 years. In the St. Paul’s community, Tim was known as the ultimate family man and an avid supporter of the school’s athletic teams, especially those coached by his wife. By all accounts, he was universally liked, if not beloved.
“Dad’s eyes were ones I always sought to borrow,” said Madison “Maddie” Crutchfield, the youngest child, at his funeral. “His glass-half-full filter over the world allowed him to enjoy the scenery on detours. He filled his cup with everyday simplicities, and it unlocked a personal fullness and satisfaction that made him effortlessly pleasant to be around.
“If this community could’ve seen how Dad attacked and overcame every setback,
surpassed every timeline, you’d understand when I say I saw Dad at his very weakest, and still thought he was the strongest,” she said.
“In the end, my memories of Dad are the most simple. But sometimes the best portion of a good person’s life are his little, nameless, unremembered acts of kindness and love.”
Crutchfield’s early career included stints at Blue Cross Blue Shield, the United Way, and Citizens Bank, and he was a men’s lacrosse coach at Southern New Hampshire University. He then became a stay-at-home dad, and helped establish the Children’s Learning Center at St. Paul’s. He attended Franklin Pierce School of Law, earning his juris doctor in 1996 before launching his public service work with the state’s Department of Health and Human Services and the New Hampshire Retirement System.
“From an early age, Dad always reminded us of one simple truth — ‘You can control two things in life: How kind you are to others, and how hard you work,’ ” said Ashley Crutchfield, the couple’s eldest. “He embodied this principle daily, leading by example with his actions more than his words.
“Before college, I interned at my dad’s office,” Ashley said. “That summer revealed to me the difference between being loved and being respected. Dad had earned both through years of hard work, integrity and genuine care for others. His authority was never diminished by his kindness. In fact, it was the source of his influence.”
At NHRS, Crutchfield became deputy director and chief legal counsel. Passionate about team sports and the life lessons they teach, he coached many local teams, and served on the board of the Concord Boys & Girls Club.
“My dad stood as a quiet testament to the values of hard work, humility, and service, living each day with a sense of duty and unwavering moral clarity,” said Timothy “TJ” Crutchfield, Jr. “My dad taught me that no matter our path, we can always choose to give our best effort and lead with kindness. He believed, and showed me, that even the smallest acts of compassion can leave a lasting mark.
“My dad loved his work for the state of New Hampshire and took pride in honoring his fiduciary responsibilities,” TJ said. “To him, public service was exactly that — serving the people.”
Exactly what you’d expect from a quiet hero. We need more of them. NH