Gaceta Dental - 373

Page 1


Núm. 373 Marzo 2025 | 6,50€ gacetadental.com

Formación continuada

Todos los perfiles profesionales de la Odontología, comprometidos con los pacientes

Estudio clínico retrospectivo Carga inmediata en implantes de 4,5 mm

Dr. David Herrera, catedrático e investigador

«Quienes se dedican exclusivamente a la investigación son verdaderos héroes»

Tendencias sectoriales

Desafíos y oportunidades para los laboratorios protésicos

Núm. 373 Marzo 2025 | 6,50€ gacetadental.com

Formación continuada

Todos los perfiles profesionales de la Odontología, comprometidos con los pacientes

Estudio clínico retrospectivo Carga inmediata en implantes de 4,5 mm

Dr. David Herrera, catedrático e investigador

«Quienes se dedican exclusivamente a la investigación son verdaderos héroes»

Tendencias sectoriales

Desafíos y oportunidades para los laboratorios protésicos

E-max CAD sobre implante

E-max CAD sobre diente natural

E-max CAD sobre diente natural

E-max CAD sobre implante

E-max CAD técnica “Cut-back”

E-max CAD sobre implante

E-max CAD técnica “Cut-back”

E-max CAD técnica “Cut-back”

E-max CAD “Monolítico”

E-max CAD “Monolítico” Pre

E-max CAD “Monolítico”

le ofrece:

Pre

innovador Disilicato de Litio (LS2) del sistema de cerámica

le ofrece:

IPS e.max CAD no solo ofrece una altísima estética que también es de 2,5 a 3 veces más resistente 360 que el resto de cerámicas de vidrio. Por ello, este material cubre todos los requerimientos estéticos y también representa una alternativa eficiente a las restauraciones unitarias ZrO2. (Zirconio)

le ofrece:

El innovador Disilicato de Litio (LS2) del sistema de cerámica vítrea IPS e.max CAD no solo ofece una altísima estética sino que también es de 2,5 a 3 veces más resistente 360 MPa que el resto de cerámicas de vidrio. Por ello, este material cubre todos los requerimientos estéticos y también representa una alternativa eficiente a las restauraciones unitarias de Zr02 (Zirconio).

El innovador Disilicato de Litio (LS2) del sistema de cerámica vítrea IPS e.max CAD no solo ofrece una altísima estética sino que también es de 2,5 a 3 veces más resistente 360 MPa que el resto de cerámicas de vidrio. Por ello, este material cubre todos los requerimientos estéticos y también representa una alternativa eficiente a las restauraciones unitarias de ZrO2. (Zirconio)

IPS e.max está avalado por la experiencia clínica que ha demostrado durante años, tanto en estética como en resistencia. La amplitud de elección del material, según el caso, en conjunción con la técnica empleada en nuestro laboratorio dotarán a los trabajos de la mayor estética para sus pacientes.

IPS e.max está avalado por la experiencia clínica que ha demostrado durante años, tanto en estética como en resistencia. La amplitud de elección del material, según el caso, en conjunción con la técnica empleada en nuestro laboratorio dotarán a los trabajos de la mayor estética para sus pacientes.

IPS e.max está avalado por la experiencia clínica que ha demostrado durante años, tanto en estética como en resistencia. La amplitud de elección del material, según el caso, en conjunción con la técnica empleada en nuestro laboratorio dotarán a los trabajos de la mayor estética para sus pacientes.

Núm. 373 Marzo 2025 | 6,50€ gacetadental.com

Puntos de encuentro

«La formación en Odontología está en un momento de cambio necesario. No solo por las nuevas leyes y regulaciones, que exigen la adaptación de los planes de estudio, sino por la propia evolución de la disciplina», nos declara en la entrevista de este mes el Dr. David Herrera, catedrático, investigador y claro protagonista de la Odontología española más brillante.

soluciones no inmediatas, pero necesaria. Los invitados al debate coincidían en la importancia de establecer puentes, en ir de la mano y seguir avanzando… Sin duda, un gran reto y desafío para todas las piezas que se engranan en el sector dental y que debe superar muchos escollos y trabas.

Formación continuada

Adaptaciones que también reclamaron algunos de los invitados al encuentro que celebramos en las renovadas instalaciones de Ivoclar Academy. Eso y mucho más. Cambios en las legislaciones, actualización de competencias, demandas como el salto a titulación universitaria para la cualificación profesional de algunos perfiles, la de contar con docentes expertos en las ramas que imparten o la de conseguir una formación continuada obligatoria, debidamente reglada y evaluada, fueron temas que se pusieron encima de la mesa… Como veis, mucha tela que cortar.

Todos los perfiles profesionales de la Odontología, comprometidos con los pacientes

Estudio clínico retrospectivo

Carga inmediata en implantes de 4,5 mm

Una charla claramente constructiva, de la que se extrajo un mensaje claro y unánime: hay que dejar a un lado las diferencias y los miedos y trabajar todos juntos por el beneficio de la Odontología y de los pacientes. Una tarea compleja, con mucho trabajo por delante y con

Y es que la Odontología evoluciona a un ritmo endiablado, adelantando a gran velocidad las rigideces de sistemas establecidos. Desde GD somos conscientes de la necesidad de cambio y adaptación. Una muestra de ello es la convocatoria de los 28 Premios GD, que acabamos de lanzar y que incorpora nuevas categorías como las de experiencia de paciente o sostenibilidad en la clínica y otras también enfocadas a las empresas del sector en reconocimiento a sus políticas de RSC o de apoyo a la investigación. Clínicas, laboratorios, compañías, organizaciones, profesionales y estudiantes: ¡No perdáis la oportunidad de conseguir uno de nuestros galardones!

Dr. David Herrera, catedrático e investigador «Quienes se dedican exclusivamente a la investigación son verdaderos héroes»

Gema Bonache

de Gaceta Dental

Tendencias sectoriales

Desafíos y oportunidades para los laboratorios protésicos

Índice de anunciantes

Cont raportada

IMPORTADOR MAYORISTA PARA LA PENÍNSULA IBÉRICA

Más de 20 años al servicio de distribuidores y servicios técnicos dentales. +Info

NUEVO DISEÑO INTERNO

¡Siempre en stock! Entrega en 24 horas.

PVP PACK Ref.: 28-FIEFIP: 980 ,00€*

BATERÍA de MAYOR CAPACIDAD

ANTES: 14 PCS GP | AHORA: 28 PCS GP

Calentamiento 25 % MÁS RÁPIDO

NUEVA ALEACIÓN agujas de inyección Calentamiento por inducción.

*IVA/IGIC no incluido

¡Siempre en stock, entrega en 24 horas!

Dispositivos, accesorios, repuestos y servicio postventa www.rumarcedeira.com | rumarcedeira@rumarcedeira.com

Teléfono: 91 849 01 04 | WhatsApp: 626 327 863

También disponibles por separado: PVP Ref.: 28-FIE: 628 ,00 €* | PVP Ref.: 28-FIP: 358 ,00 €*.

Pregúntanos por tu distribuidor o servicio técnico más cercano

Carta abierta

«Puntos de encuentro», por Gema Bonache.

Ciencia y clínica

–Carga inmediata en implantes de 4,5 mm. Estudio retrospectivo, por el Dr. Eduardo Anitua. [12]

–Revisión de los procesos de esterilización en Odontología bajo los protocolos y normas de bioseguridad con un enfoque en su efectividad para la seguridad del paciente, por Germán Andrés Bedoya. [26]

Protagonistas

Dr. David Herrera Medalla de Oro al Mérito Científico del COEM

Encuentros

Formación continua en Odontología: la clave de la excelencia.

Tendencias

–30 años de evolución profesional a través de la IDS, por el Dr. Giuliano Fragola. [80]

–Microempresas en el sector dental español: desafíos y oportunidades para los laboratorios, por Roberto Rosso. [86]

Congresos

–XIV Congreso Nacional de la Sociedad Española de Odontología Infantil Integrada (SEOII). [112]

–Congreso Internacional SEDCYDO/SEGER/ SEMO. [114]

Clínica Durán & Burgos

SIMPOSIO

Explora los últimos avances en medicina regenerativa aplicada a la odontología y cirugía oral. Se abordarán temas como la regeneración ósea, los tratamientos en ATM, el manejo de MRONJ y las aplicaciones en medicina oral, con un enfoque en la evidencia científica y la práctica clínica. Una oportunidad para profundizar en técnicas innovadoras y su impacto en la salud oral.

INSCRIPCIONES

Dr. Eduardo Anitua
Dr. Sabino Padilla
Dr. Gorka Orive
Dra. Laura Piñas
Dr. Eduardo Vázquez
Dra. Aintzane Torre
Dr. Sourav Panda

EDITA

Peldaño

DIRECTORA

Gema Bonache gbonache@gacetadental.com

RESPONSABLE DE DESARROLLO DE NEGOCIO

Marta Hernández mhernandez@gacetadental.com

PUBLICIDAD

Ana Santamaría ana@gacetadental.com

Marta Pérez marta@gacetadental.com

ACCEDE A LOS DATOS DE SUSCRIPCIÓN

OFICINAS Y REDACCIÓN

Avda. Manzanares, 196 28026 Madrid 91 476 80 00

HEAD OF DESIGN

Juan Luis Cachadiña GACETADENTAL.COM

COPYWRITER

Sandra Rodríguez srodriguez@gacetadental.com

REDACTORA

Patricia Merino pmerino@gacetadental.com

¡SÍGUENOS EN LAS REDES!

TIENDA GD

Francisco Soriano paco@gacetadental.com

Jorge Cacuango jorge@gacetadental.com

JEFE DE PRODUCCIÓN

Miguel Fariñas

DISEÑO Y MAQUETACIÓN

Débora Martín Cristina Corchuelo

IMPRIME

Grafinter S. L.

Av. de Castilla, 14, 28830 Polígono de San Fernando de Henares, Madrid

CONSEJO DE INNOVACIÓN Y EXCELENCIA

DEPÓSITO LEGAL

M.35.236-1989 ISSN 1135-2949

Presidente: Ignacio Rojas · CEO: Lourdes Álvarez ·Director Financiero y de Talento: Daniel R. Villarraso

Director de Marca y Estrategia: Eneko Rojas · Director de Estrategia de Contenidos: Adrián Beloki

Directora de Estrategia Comercial: María Rojas · Directora de Marketing: Miriam Egea

Directora de Eventos: Yaiza Pascual

SUSCRIPCIONES Y DISTRIBUCIÓN

902 35 40 45

suscripciones@peldano.com

CIENCIA Y CLÍNICA: Dr. José Aranguren, Dra. Estefanía Laguna, Dr. Juan López-Quiles, Dra. Estefanía Moreno, Dr. Jesús Peláez Rico, Dr. Luis Segura-Mori · FORMACIÓN Y CONOCIMIENTO: Dr.Juan Carlos Vara, Dra. María José Muñoz, Dr. Simón Pardiñas · TECNOLOGÍA E INNOVACIÓN: Dr. Luis Cuadrado de Vicente, Dra. Irene García INTERNACIONAL: Dr. Joao Caramés, Dr. Cristian Abad

Los artículos científicos y clínicos que se publican en Gaceta Dental son supervisados por un grupo de expertos en las distintas ramas de la Odontología. Gaceta Dental no se identifica necesariamente con las opiniones expresadas libremente en sus páginas por los colaboradores.

Publicación autorizada por el Ministerio de Sanidad como soporte válido. Ref: S.V 89057 R. Premio aeepp a la mejor revista de 2008 | 1er Accesit al Mejor Editor, años 2004 y 2007 | Premio «Pro-Odontología» de la Sociedad Catalana de Odontología y Estomatología (scoe) 2009 | Premio «Fomento de la Salud» del Consejo General, 2005 | Premio del Colegio de Protésicos de la Comunidad de Madrid a la Trayectoria Profesional 2009 | Insignia de oro Colegial del COEM 2013.

AVISO LEGAL Y TRATAMIENTO DE DATOS

La opinión de los artículos publicados no es compartida necesariamente por la revista, y la responsabilidad de los mismos recae, exclusivamente, sobre sus autores. Cualquier forma de reproducción, distribución, comunicación pública o transformación de esta obra solo puede ser realizada con la autorización de sus titulares, salvo excepción prevista por la ley, y en el caso de hacer referencia a dicha fuente, deberá a tal fin ser mencionada GACETA DENTAL editada por Peldaño, en reconocimiento de los derechos regulados en la Ley de Propiedad Intelectual vigente, que como editor de la presente publicación impresa le asisten. Los archivos no deben modificarse de ninguna manera. Diríjase a CEDRO (Centro Español de Derechos Reprográficos) si necesita fotocopiar o escanear algún fragmento de esta obra (www.conlicencia.com / 917 021 970 / 932 720 445). De conformidad con lo dispuesto en el Reglamento (UE) 2016/679 del Parlamento Europeo y del Consejo, de 27 de abril de 2016, relativo a la protección de las personas físicas en lo que respecta al tratamiento de datos personales y a la libre circulación de estos datos y por el que se deroga la Directiva 95/46/CE, y de conformidad con la legislación nacional aplicable en materia de protección de datos, le recordamos que sus datos están incorporados en la base de datos de PELDAÑO MEDIA GROUP, S. L., como Responsable de Tratamiento de los mismos, y que serán tratados en observancia de las obligaciones y medidas de seguridad requeridas, con la finalidad de gestionar los envíos en formato papel y/o digital de la revista, de información sobre novedades y productos relacionados con el sector, así como poder trasladarle, a través nuestro o de otras entidades, publicidad y ofertas que pudieran ser de su interés, de conformidad con el consentimiento prestado al solicitar su suscripción expresa y voluntaria a la misma, cuya renovación podrá ser requerida por Ediciones Peldaño en cumplimiento del citado Reglamento. Le informamos que podrá revocar dicho consentimiento, en cualquier momento y en ejercicio legítimo de los derechos de acceso, rectificación, cancelación, oposición, portabilidad y olvido, dirigiéndose a PELDAÑO MEDIA GROUP, S. L., Avda. Manzanares, 196. 28026 Madrid, o al correo electrónico distribucion@peldano.com. SUSCRIPCIÓN

España Europa Resto
Estudio clínico retrospectivo
Foto: Enric Boscá

Estudio retrospectivo

Ciencia y clínica Carga inmediata en implantes de 4,5 mm

INTRODUCCIÓN

DR. EDUARDO ANITUA

Médico estomatólogo. Práctica privada en implantología oral en Eduardo Anitua Foundation. Investigador clínico en Eduardo Anitua Foundation.

Instituto Universitario de Medicina

Regenerativa e Implantología

Bucal - UIRMI (UPV/ EHU-Fundación

Eduardo Anitua).

Vitoria.

La carga inmediata de implantes cortos ha ganado un interés considerable como método para reducir el tiempo total de tratamiento y ofrecer resultados funcionales y estéticos de manera más rápida en pacientes con altura ósea limitada (1-4).

Tradicionalmente, los implantes cortos eran considerados menos favorables para la carga inmediata debido a preocupaciones sobre su estabilidad primaria y la limitada superficie disponible para la osteointegración. Sin embargo, los avances en el diseño de implantes, la tecnología de superficie y los protocolos quirúrgicos han mejorado los resultados, haciendo de la carga inmediata una opción viable para implantes cortos en casos seleccionados (1, 2).

La investigación actual indica que la carga inmediata de implantes cortos puede lograr tasas de supervivencia comparables a las de

implantes de longitud convencional, siempre que se cumplan ciertos criterios (1-4). Estos criterios incluyen una estabilidad primaria adecuada al momento de la inserción, una calidad ósea favorable y un control cuidadoso de la carga oclusal (26). Algunos estudios sugieren que, en condiciones óptimas, la carga inmediata puede favorecer un mejor contacto entre hueso e implante e incluso reducir la pérdida ósea marginal, ya que la carga temprana podría estimular los procesos de remodelación ósea. Además, los protocolos de carga inmediata para implantes cortos han mostrado resultados similares en cuanto a la salud de los tejidos periimplantarios en comparación con los protocolos de carga diferida, siempre que se gestione adecuadamente la estabilidad del implante y las fuerzas biomecánicas durante la fase temprana de cicatrización (4-8). Hoy en día, la carga inmediata es un protocolo cada día más extendido

«La investigación actual indica que la carga inmediata de implantes cortos puede lograr tasas de supervivencia comparables a las de implantes de longitud convencional»

desde que se comenzó a utilizar en los años 90 (9) y que presenta tasas de éxito similares a los implantes insertados mediante el protocolo de carga «convencional» (98,2% para la carga inmediata frente a 99,6% para la carga convencional) (10-13). En este estudio, avanzamos en la exploración de técnicas de Implantología mínimamente invasiva al presentar una serie de casos en los que se ha aplicado carga inmediata en implantes ultracortos de 4,5 mm de longitud. Estos implantes, ferulizados con otros de igual o mayor longitud, han permitido la rehabilitación de zonas con atrofia ósea en altura moderada-severa sin necesidad de técnicas previas de regeneración ósea que, en el pasado, hubieran sido imprescindibles para estos casos. La utilización de implantes de 4,5 mm de longitud en estas condiciones ofrece una alternativa eficaz y menos invasiva para tratar áreas con altura ósea limitada, ampliando las opciones de tratamiento implantológico con resultados clínicos prometedores.

MATERIAL Y MÉTODO

Fueron recolectados de forma retrospectiva datos sobre casos de implantes de 4,5 mm de longitud en los que fue realizada una carga inmediata. Todos los implantes fueron colocados en una única clínica en Vitoria, España, durante los años 2020 y 2021. Todos los pacientes fueron estudiados antes de la inserción de los implantes mediante modelos diagnósticos, exploración intraoral y realización de un TAC dental (Cone-beam) analizado posteriormente mediante un software específico (BTI-Scan III). Además, para planificar de forma correcta la posterior rehabilitación, se llevó a cabo un encerado diagnóstico,

Radiografía final del caso.
«Algunos estudios sugieren que, en condiciones óptimas, la carga inmediata puede favorecer un mejor contacto entre hueso
e implante e incluso reducir la pérdida ósea marginal»

desde el que se confeccionó una guía quirúrgica. Antes de la inserción de los implantes se utilizó una premedicación antibiótica consistente en amoxicilina dos gramos vía oral una hora antes de la intervención y paracetamol un gramo vía oral (como analgésico). Posteriormente, los pacientes prosiguieron con un tratamiento de amoxicilina 500-750 mg vía oral cada ocho horas (según peso) durante cinco días. La inserción de los implantes fue realizada por un mismo cirujano, mediante la técnica de fresado biológico, a bajas revoluciones, sin irrigación, según el protocolo descrito por nuestro grupo de estudio (14-16).

Se recolectaron datos relativos a los pacientes: demográficos, enfermedades previas, tratamientos farmacológicos; datos relativos a los implantes: posición, diámetro, longitud, torque de inserción, tipo de prótesis y parámetros del diagnóstico óseo previo; y datos de seguimiento: supervivencia de los implantes y las prótesis y pérdidas óseas. La

recolección de los datos fue llevada a cabo por dos examinadores independientes. El implante fue la unidad de análisis para la estadística descriptiva en cuanto a la localización, dimensiones del implante y mediciones radiográficas. El paciente fue la unidad de medida para el análisis de la edad, sexo y la historia médica. Para la estimación de la pérdida ósea marginal se tomó como referencia una longitud conocida en las radiografías (longitud del implante) para calibrar de ese modo las mediciones realizadas en estas radiografías. A partir de la calibración el software utilizado calcula las mediciones reales (Digora for Windows, SOREDEX Digital Imaging systems). La pérdida ósea crestal marginal se calculó midiendo desde el hombro del implante hasta el primer sitio donde el contacto hueso-implante fuese evidente. La referencia para comparar los registros radiográficos y, de este modo, estimar la pérdida ósea producida en cada uno de los pacientes, fue la radiografía realizada en el momento de inserción de la prótesis. Esta radiografía se utilizó, por lo tanto, como punto de partida para todas las medidas posteriores. Fue realizado un test de shapiroWilk sobre los datos obtenidos para constatar la distribución normal de la muestra.

Las variables cualitativas se describieron mediante un análisis de frecuencias. Las variables cuantitativas se describieron mediante la media y la desviación estándar. La supervivencia de los implantes se calculó mediante el método de Kaplan-Meier. Los datos fueron analizados con SPSS v15.0 para windows (SPSS Inc., Chicago, IL, USA).

El talento que mueve el futuro de la Odontología

18 Sep 2025

Hay estudiantes, profesionales, entidades y empresas que destacan por su capacidad innovadora y se merecen un premio.

¿Eres uno de ellos? ¡Te esperamos!

¡Consulta las bases!

Organiza: Impulsa:

RESULTADO

Fueron reclutados 19 pacientes en los que se colocaron 23 implantes de longitud 4,5 mm con carga inmediata. El 73,9% fueron mujeres y la edad media del grupo estudiado fue de 63,51 años (+/- 12,46). Uno de los pacientes era fumador, no existiendo patologías sistémicas de interés que puedan interferir en la oseointegración en el resto de los pacientes estudiados. Todos los implantes fueron de 4,5 mm de longitud, con diámetros comprendidos entre los 3,30 mm y los 5,5 mm, siendo el más frecuente 3,50 mm en el 21,7% de los casos. En la Figura 1 se muestran todos los diámetros de los implantes incluidos en el estudio.

En cuanto a la posición, los implantes fueron colocados tanto en el maxilar superior como en la mandíbula, existiendo un único caso situado en sector anterior (pieza 12), siendo el resto posiciones de premolares y molares, con mayor frecuencia para la pieza 26 (26,1%). El resto de las posiciones se muestran en la Figura 2

En cuanto a la calidad del lecho óseo, la densitometría media de todos los implantes colocados fue de 590 Hu (+/- 361). En cuanto al torque de inserción, la media del grupo se situó en 36 Ncm (+/- 19,11). La densitometría y los Ncm de inserción de los implantes estudiados en función de la posición se muestran en la Figura 3

Figura 3. Torque de inserción de los implantes y densitometría del lugar de colocación en función de la posición del implante.

Figura 1. Diámetros de los implantes incluidos en el estudio. Figura 2. Posiciones de los implantes incluidos en el estudio.

La media de la altura ósea residual en la zona de colocación de los implantes de 4,5 mm fue de 5,20 mm (+/-1). En los implantes insertados se realizaron técnicas accesorias en 12 de los 23 totales. Estas técnicas accesorias fueron elevación de seno transalveolar en seis implantes, sobre-corrección vestibular en cinco implantes y crecimiento vertical en uno de los implantes. El material para todos estos procedimientos fue injerto autólogo obtenido de fresado de otras localizaciones y de la zona de inserción del implante y PRGF-Endoret. En todos los casos se llevó a cabo una carga inmediata de los implantes de 4,5 mm de longitud. De todos los implantes insertados, únicamente dos implantes fueron ferulizados a otros de igual longitud, encontrándose el resto ferulizados a implantes de longitud mayor, formando puentes de entre dos y cuatro dientes en el 69,6% de los casos y de arco completo en el 30,4% restante.

Todos los casos fueron rehabilitados con transepitelial para prótesis múltiple y con prótesis atornillada, con un ratio corona-

implante que varió entre 1,6 y 3,9 mm, con una media de 2,69 (+/- 0,54).

Las prótesis de carga inmediata inferior fueron transformadas en prótesis de carga progresiva a los tres meses para terminar en prótesis definitivas entre seis y ocho meses posteriores a la colocación de los implantes. En el arco superior, la carga inmediata se reemplazó por carga progresiva entre los cinco y seis meses posteriores y por prótesis definitivas entre los ocho y los 12 meses. La media de la pérdida ósea mesial de los implantes estudiados al final del tiempo de seguimiento fue de 0,30 mm (+/-0,34) y la media de la pérdida ósea distal fue de 0,74 mm (+/- 0,46). La supervivencia de los implantes estudiados fue del 100%, no registrándose fracasos durante el tiempo de seguimiento, que de media fue de 13,49 meses.

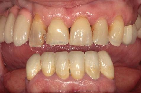
En cuanto a la prótesis, únicamente se registraron complicaciones de aflojamiento de tornillo en dos de los implantes en la fase de prótesis provisional. En las Figuras 4-21 se muestra uno de los casos incluidos en el estudio.

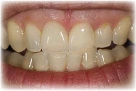
Figuras 4 y 5. Imagen intraoral y de sonrisa de la paciente en la primera visita. En ellas observamos el colapso de la mordida a nivel anterior, con una sobremordida del 100%.

Figuras 6 y 7. Al retirar las prótesis removibles observamos en el arco inferior una gran reabsorción ósea del sector posterior, con elevación del suelo de la boca y la invasión de los tejidos blandos, lo que nos hace suponer que existe una gran atrofia ósea asociada.

Figura 8. En la radiografía inicial ya se hace evidente que los sectores posteriores mandibulares tienen una escasa altura ósea residual y podemos ver desajustes en la prótesis sobre implantes superior del primer cuadrante.

Figuras 9 y 10. El primer paso para iniciar la rehabilitación se realiza mediante un escaneado intraoral para poder generar unos modelos tridimensionales exactos de la paciente elaborados mediante flujo digital y sobre ellos crear un encerado que nos dé la oclusión buscada y la posición ideal de los dientes a reponer.

El mejor Duo para su flujo de Trabajo Digital

Nuevo

Escáner 3D &

• 20 micras de precisión

• 20 segundos para una arcada completa

• Versiones con cable e inalámbricas

FOV 16x11 a 5x5 • Voxel 70 micras • Diseño ultracompacto • Nuevo CBCT

Escanee y reciba

Nuestros Folletos

Figuras 11 y 12. Modelos realizados por CAD/CAM con los encerados de los dientes a reponer en los sectores posteriores mandibulares, montados en el articulador para generar una oclusión óptima.

Figuras 13-15. Imágenes del cone-beam de planificación de los cortes mandibulares de los tres implantes de 4,5 mm de longitud. Como podemos observar en los tres casos, la atrofia en altura es muy llamativa, habiéndose necesitado procedimientos regenerativos previos en caso de haber colocado implantes de longitud convencional.

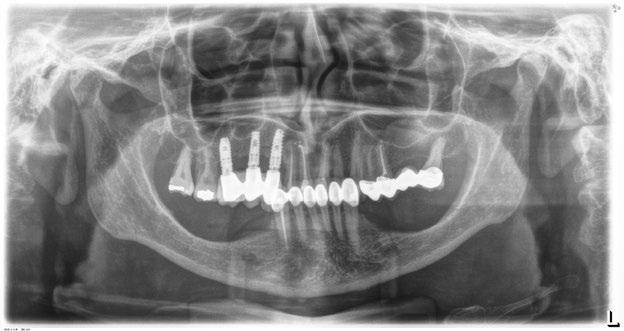
Figura 16. Radiografía de la colocación de los implantes y la prótesis de carga inmediata horas después de la cirugía.

Figura 17. Radiografía final del caso con las prótesis definitivas, tras dos años de seguimiento, sin pérdidas óseas evidentes en ninguno de los implantes estudiados.

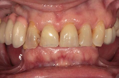
Figuras 18-21. Imágenes iniciales y finales de la paciente a los dos años de seguimiento donde observamos el cambio de la sonrisa y la recuperación de la dimensión vertical realizada con la rehabilitación sobre implantes y la confección de nuevas prótesis sobre implantes en el primer cuadrante y facetas en los sectores anteriores superiores e inferiores.

«Los protocolos de carga inmediata para implantes cortos han mostrado resultados similares en cuanto a la salud de los tejidos periimplantarios en comparación con los protocolos de carga diferida»

DISCUSIÓN

Con creciente frecuencia, los pacientes buscan rehabilitación con implantes para abordar la pérdida de dientes, incluso en situaciones de reabsorción ósea severa en el maxilar o la mandíbula, ya sea en sentido horizontal, vertical o en casos de atrofias mixtas (17, 18).

La Implantología ha avanzado significativamente para ofrecer soluciones a una amplia gama de casos, incluyendo aquellos de alta complejidad. Esto ha llevado al desarrollo de diversas opciones adaptadas a las condiciones específicas de cada paciente, como los implantes cortos, extracortos y ultracortos, así como los implantes de diámetro y plataforma reducidos, que permiten tratamientos menos invasivos y más eficaces en situaciones de déficit óseo (3, 7, 15, 19). Los implantes extracortos han demostrado ser una técnica predecible, con tasas de supervivencia que oscilan entre el 86,7% y el 100%, como evidencian varias revisiones sistemáticas y metaanálisis (20-24).

Más recientemente, los implantes de 4 mm se han integrado en el arsenal terapéutico, ofreciendo resultados comparables en términos de supervivencia, pérdida ósea crestal y tasas de complicaciones quirúrgicas o protésicas. El metaanálisis llevado a cabo por Zang y cols (22) con implantes de 4 mm evidencia que estos implantes no presentan una pérdida ósea superior comparados con implantes cortos (RR=1,23, p=0,52) con pérdidas óseas asociadas menores que los implantes cortos (p=0,0007) y menos complicaciones biológicas (RR=0,34; p=0,0004), aunque en los estudios analizados sí se observaron para los implantes de 4 mm mayor número de complicaciones mecánicas (RR=289; p=0,04), pero sin mayor tasa de fracaso de las prótesis, siendo eventos solventables. Además, el uso de implantes de 4 mm minimiza la morbilidad asociada a las técnicas regenerativas, beneficiando directamente al paciente al reducir el trauma quirúrgico y los tiempos de recuperación (22-24).

Cuando hablamos de someter estos implantes extracortos a carga inmediata, existen estudios en la literatura internacional que evidencian que pueden obtenerse resultados similares también en cuanto a la supervivencia que los que tienen documentados los implantes cortos. Amato y cols (4), en su estudio con un seguimiento de cuatro años, reportan una supervivencia de 99,3% para implantes de 5 y 6 mm en zonas posteriores del maxilar superior y mandíbula. Para longitudes menores (4 mm) encontramos trabajos como el llevado a cabo por Barause y cols (25) donde se coloca un implante de 4 mm postextracción inmediato tras una exodoncia de un canino maxilar incluido y

Confía

Heka Dental

La unidad de las sonrisas

con dos años de seguimiento se obtienen buenos resultados. Por su parte, Pistilli y cols (26) proponen un abordaje de la mandíbula edéntula con extrema reabsorción con cuatro implantes de 4 mm de longitud, reportando un caso con un seguimiento de dos años y buen comportamiento de los implantes.

En nuestro estudio hemos reportado 19 pacientes en los que se colocaron 23 implantes de 4,5 mm con carga inmediata, mismo protocolo de fresado, inserción y rehabilitación y un seguimiento de dos años, con datos de supervivencia del 100% y pérdidas óseas comparables a las reportadas para implantes cortos o de mayor longitud insertados en áreas previamente regeneradas (0,30 mm mesial (+/-0,34) y 0,74 mm distal (+/- 0,46), por lo que podemos considerar que estos implantes son una alternativa segura y predecible

para las situaciones de atrofia ósea vertical severa, siempre ferulizados y que no se incrementa el riesgo de fracaso por la realización de carga inmediata en estas situaciones.

CONCLUSIONES

La carga inmediata de los implantes ultracortos de 4,5 mm en diferentes localizaciones anatómicas, siempre ferulizados y rehabilitados con prótesis atornillada mediante elementos intermedios (transepitelial), no ha demostrado presentar una mayor tasa de fracaso para la serie estudiada ni ha incrementado la pérdida ósea comparándonos con implantes de longitud mayor.

Aun así, se sugiere que estudios adicionales, con un mayor número de casos y un seguimiento más prolongado, serían útiles para consolidar los resultados observados en este análisis. ●

BIBLIOGRAFÍA

1. HADILOU M, EBRAHIMI P, KARIMZADEH B, GHAFFARY A, GHOLAMI L, FATHIFAR Z. Immediate loading of short implants: A systematic review. J Adv Periodontol Implant Dent. 2021 Mar 6;13(1):15-21.

2. KULKARNI V, UTTAMANI JR, ASAR NV, NARES S, TÖZÜM TF. Evidence-Based Clinical Outcomes of Immediate and Early Loading of Short Endosseous Dental Implants: A Meta-analysis. Int J Oral Maxillofac Implants. 2021 JanFeb;36(1):59-67.

3. ANITUA E. Immediate Loading of Short Implants in Posterior Maxillae: Case Series. Acta Stomatol Croat. 2017 Jun;51(2):157-162.

4. AMATO F, POLARA G, SPEDICATO GA. Immediate Loading of Fixed Partial Dental Prostheses on Extra-Short and Short Implants in Patients with Severe Atrophy of the Posterior Maxilla or Mandible: An Up-to-4-year Clinical Study. Int J Oral Maxillofac Implants. 2020 May/Jun;35(3):607-615.

5. GALLETTI F, GALLETTI C, GONZÁLEZ TERRATS R, D’AMICO C, DE ANGELIS F, CERVINO G, FIORILLO L. Immediate versus conventional loading in short and ultrashort implants: a protocol design. Minerva Dent Oral Sci. 2024 Sep 11.

6. HONG DGK, OH JH. Recent advances in dental implants. Maxillofac Plast Reconstr Surg. 2017 Nov 5;39(1):33.

7. ANITUA E, FLORES J, FLORES C, ALKHRAISAT MH. Longterm Outcomes of Immediate Loading of Short Implants: A Controlled Retrospective Cohort Study. Int J Oral Maxillofac Implants. 2016 Nov/Dec;31(6):1360-1366.

8. SENNERBY L, GOTTLOW J. Clinical outcomes of immediate/ early loading of dental implants. A literature review of recent controlled prospective clinical studies. Aust Dent J. 2008 Jun;53 Suppl 1:S82-8.

9. LEFKOVE MD, BEALS RP. Immediate loading of cylinder implants with overdentures in the mandibular symphysis: the titanium plasma-sprayed screw technique. J Oral Implantol. 1990;16(4):265–271.

10. HRUSKA AR, BORELLI P. Intra-oral welding of implants for an immediate load with overdentures. J Oral Implantol. 1993;19(1):34–38.

11. ROSENLICHT JL. Advanced surgical techniques in implant dentistry: contemporary applications of early techniques. J Dent Symp. 1993;1:16–19.

12. SANZ SÁNCHEZ I, SANZ MARTÍN I, FIGUERO E, SANZ M. Clinical efficacy of immediate implant loading protocols compared to conventional loading depending on the type of the restoration: a systematic review. Clin Oral Implants Res. 2015;26(8):964–982.

13. ROSENLICHT JL. History of immediate load in implant dentistry. Interview. Dent Implantol Update. 2004 Oct;15(10):73-9.

14. ANITUA E, ALKHRAISAT MH, PINAS L, ORIVE G. Efficacy of biologically guided implant site preparation to obtain adequate primary implant stability. Ann Anat 2015; 199: 9-15.

15. ANTIUA E, ESCUER V, ALKHRAISAT MH. Short Narrow Dental Implants versus Long Narrow Dental Implants in Fixed Prostheses: A Prospective Clinical Study. Dent J (Basel). 2022 Mar 4;10(3):39.Anitua E, Carda C, Andia I. A novel drilling procedure and subsequent bone autograft preparation: a technical note. Int J Oral Maxillofac Implants. 2007;22:13845. Erratum in: Int J Oral Maxillofac Implants. 2007;22:309.

16. MCGRATH C, LAM O, LANG N. An evidence-based review of patient-reported outcome measures in dental implant research among dentate subjects. J Clin Periodontol. 2012 Feb;39 Suppl 12:193-201.

17. GURGEL BC, PASCOAL AL, SOUZA BL, DANTAS PM, MONTENEGRO SC, OLIVEIRA AG, CALDERON PDOS S. Patient satisfaction concerning implant-supported prostheses: an observational study. Braz Oral Res. 2015;29:S1806-83242015000100235.

18. ALTAIB FH, ALQUTAIBI AY, AL-FAHD A, EID S. Short dental implant as alternative to long implant with bone augmentation of the atrophic posterior ridge: a systematic review and meta-analysis of RCTs. Quintessence Int. 2019;50(8):636-650.

19. MALÓ PS, DE ARAÚJO NOBRE MA, LOPES AV, FERRO AS. Retrospective cohort clinical investigation of a dental implant with a narrow diameter and short length for the partial rehabilitation of extremely atrophic jaws. J Oral Sci. 2017;59(3):357-363.

20. ANNIBALI S, CRISTALLI MP, DELL’AQUILA D, BIGNOZZI I, LA MONACA G, PILLONI A. Short dental implants: a systematic review. J Dent Res. 2012;91:25-32.

21. PAPASPYRIDAKOS P, DE SOUZA A, VAZOURAS K, GHOLAMI H, PAGNI S, WEBER HP. Survival rates of short dental implants (≤6 mm) compared with implants longer than 6 mm in posterior jaw areas: A meta-analysis. Clin Oral Implants Res. 2018;29 Suppl 16:8-20.

22. ZHANG Q, GONG J, YU J, ZHAO R, GOU P, YU Z. Clinical efficacy of extra-short implant (4 mm) placed in posterior areas: a Meta-analysis. Hua Xi Kou Qiang Yi Xue Za Zhi. 2023 Feb 1;41(1):80-87.

23. GONÇALVES TM, BORTOLINI S, MARTINOLLI M, ALFENAS BF, PERUZZO DC, NATALI A, BERZAGHI A, GARCIA RC. Longterm Short Implants Performance: Systematic Review and Meta-Analysis of the Essential Assessment Parameters. Braz Dent J. 2015 Jul-Aug;26(4):325-36.

24. FERNANDES G, COSTA B, TRINDADE HF, CASTILHO RM, FERNANDES J. Comparative analysis between extra-short implants (≤6 mm) an d 6 mm-l onger implants: a metaanalysis of randomized controlled trial. Aust Dent J. 2022 Sep;67(3):194-211.

25. BARAUSSE C, GASPARRO R, BERTI C, BELLINI P, COLOMBELLI F, FELICE P. Super-short (4-mm) Postextractive, Immediately Provisionalized Implant in a Minimally Invasive Rehabilitation Approach Avoiding Extraction of the Impacted Maxillary Canine: A 2-Year Follow-up Case Report. Int J Periodontics Restorative Dent. 2021 Sep-Oct;41(5):727-732.

26. PISTILLI R, BARAUSSE C, GASPARRO R, BERTI C, FELICE P. Minimally Invasive Fixed Rehabilitation of a Totally Edentulous Severely Atrophic Mandible with 4-mm Ultrashort Immediately Loaded Implants: A Case Report. Int J Periodontics Restorative Dent. 2020 Jul/ Aug;40(4):549-559.

clínica

Práctica

Revisión de los procesos de esterilización en Odontología

Bajo los protocolos y normas de bioseguridad con un enfoque en su efectividad para la seguridad del paciente

RESUMEN

Este artículo describe las indicaciones y las recomendaciones basadas en las evidencias disponibles para la atención odontológica segura desde los procesos sistemáticos en las áreas destinadas a esterilización dentro de los centros dentales en España. En él se dan a conocer cuáles son los principales procesos de esterilización para garantizar la seguridad, efectividad y calidad de los procedimientos y la validación de los procesos. El objetivo es poder realizar su trazabilidad, análisis y gestionar los efectos adversos (transmisión de enfermedades infectocontagiosas), siendo el factor humano el eslabón más débil dentro del proceso.

Esta revisión bibliográfica está basada en normas y protocolos de bioseguridad actualizados, que se establecen por la Administración para la Seguridad y la Salud Ocupacional (OSHA) de los Estados Unidos, el Centro para el Control y Prevención de Enfermedades (CDC), la Organización Mundial de

la Salud (OMS), el centro Europeo para la Prevención y el Control de Enfermedades (ECDC), la Comisión Europea, la Asociación para la Prevención y Control de Infecciones de Canadá (IPAC), la Asociación Dental Americana (ADA) y la norma Española UNE 179001.

Palabras clave: bioseguridad, control de infecciones, esterilización, atención odontológica, infecciones cruzadas, procesos, seguridad del paciente.

Área temática: seguridad del paciente, control de enfermedades comunicables.

ABSTRACT

This article summarizes the indications and recommendations based on the available evidence for safe dental care from systematic processes in areas intended for sterilization within dental center in Spain, and to reveal the main factors and causes of a poor sterilization process, and consequently of the transmission of infectious diseases,

«La atención odontológica integral incluye un manejo específico, riguroso y oportuno de las infecciones que se puedan presentar en el entorno y que se ha convertido en un aspecto secundario al adecuado control de la enfermedad»

with the human factor being the weakest link in the process. This bibliographic review is based on updated biosafety standards and protocols, which are established by the Occupational Safety and Health Administration (OSHA) of the United States, the Center for Disease Control and Prevention (CDC), the World Health Organization (WHO),the European Centre for Disease Prevention and Control (ECDC), the European Commission, the Infection Prevention and Control Association of Canada (IPAC), the American Dental Association (ADA) and the spanish standard UNE 179001.

Keywords: biosecurity, infection control, sterilization, dental care, cross infections, processes, patient safety.

Thematic field: patient safety, communicable disease control.

INTRODUCCIÓN

Durante décadas, las clínicas dentales cuentan con un espacio destinado para realizar un proceso basado en rigurosos estándares organizados y sistemáticos llamado esterilización, que juega un papel importante dentro de la prestación de los servicios sanitarios. Esta, a su vez, consta de una serie de acciones basadas en protocolos y normas sugeridas por diferentes organismos que vigilan y velan por el cuidado de la seguridad del paciente y también para poder garantizar la efectividad requerida, así como el cuidado de los que trabajan dentro de una clínica dental (dentistas, higienistas, personal auxiliar, administrativo y otros colaboradores). La atención odontológica integral incluye un manejo específico, riguroso y oportuno de las infecciones que se

«El uso de los EPP no está en su totalidad integrado en la atención clínica del día a día, omitiendo uno o algunos de ellos»

puedan presentar en el entorno y que se ha convertido en un aspecto secundario al adecuado control de la enfermedad (1, 2).

Las clínicas dentales en España cuentan con un gran talento humano, con alta tecnología y acceso a medios informáticos, uso de la Inteligencia Artificial (IA) y todo lo necesario para brindar un servicio de excelencia y alta calidad. El personal auxiliar es quien, por lo general, se dedica a realizar el proceso de esterilización, por lo que deben ceñirse a las normas, protocolos y guías de práctica clínica sugeridos para tal proceso, sumando el uso adecuado de elementos de protección personal (EPP) (2-4). Se ha evidenciado en la literatura que los protocolos no se realizan de manera correcta, tampoco el uso de los EPP, ya sea por la escasa o inadecuada formación o por la poca actualización permanente de los procesos que se requieren para garantizar el adecuado uso y que muchas veces convierte esa área, destinada al proceso de esterilización de depósitos de fungibles, en área de vaciado de impresiones en yeso, depósito de trabajos de laboratorio y hasta en espacios para guardar utensilios de aseo o comedor (4-21).

El presente estudio abarca la revisión bibliográfica más relevante

y disponible en los últimos 10 años, describiendo el paso a paso del proceso de esterilización y todo lo que se requiere para realizar la trazabilidad de cada procedimiento dental y así garantizar la seguridad del paciente, recabando además cuáles son las principales causas de una mala praxis en esta área y, por consiguiente, de la transmisión de las diferentes enfermedades infectocontagiosas en las clínicas dentales.

Cada gabinete dental está determinado como un ambiente de alta exposición a diversos microorganismos y un elevado riesgo de contaminación cruzada (5, 8, 9). Todos estos microorganismos se transportan de varias formas, ya sea por aire, agua, aerosoles, superficies de contacto o polvo, expandiéndose en todas las áreas administrativas de la clínica, los despachos, la sala de rayos x, los baños, la sala de espera, así como en el mismo gabinete dental (9, 10). El no uso de los EPP y la incorrecta recolección del material y los instrumentos ya contaminados para ser trasladados del gabinete al área destinada para el proceso de esterilización no es el adecuado, causando incidentes o accidentes de riesgo biológico, como consecuencia de un pinchazo, laceración o daño en la ropa, al no estar el material dentro de un recipiente que lo proteja (22-31). Esto representa un riesgo para quienes trabajan y transitan por los diferentes espacios de la clínica dental. Algunos estudios han evidenciado accidentes de riesgo biológico con una prevalencia del 51,9%, muchos de ellos no son reportados a prevención de riesgos laborales (7-22, 23-31).

Los microorganismos que con mayor frecuencia se describen

y se encuentran en la literatura en el entorno odontológico y que, potencialmente, pueden poner en peligro a los pacientes y a los profesionales debido al tiempo de supervivencia, son: hepatitis B, hepatitis C, SARS, Influenzavirus, VIH, Staphylococcus aureus, Staphylococcus Pyogenes, Escherichia Coli, Pseudomonas Aeruginosa, Shigella Spp y Candidas Albicans (8, 9).

Esta situación lleva al gremio dental a replantearse el buen uso de las medidas estrictas de prevención y control para reducir el riesgo de infecciones cruzadas y los procesos completos en esterilización basados en las normas y protocolos recomendados a nivel nacional e internacional.

OBJETIVO

Analizar y protocolarizar todas las indicaciones, recomendaciones, criterios y conceptos utilizados en el uso de EPP dentro y en el proceso de desinfección, descontaminación, esterilización, control y registros para la trazabilidad del material e instrumentos de uso odontológico para cada procedimiento por paciente dentro de la clínica dental. Se espera que este documento sea de utilidad para estudiantes y profesionales en el área de la salud bucodental.

MÉTODOS

Se realizó una revisión bibliográfica en diferentes bases de datos: Medline/ PubMed, Free Medical Journals, BioMed, Cinahl, Scielo, Lilacs, así como bases de literatura gris para obtener normas, guías, protocolos, documentos escritos sobre procesos de esterilización, trazabilidad en los procesos de esterilización,

bioseguridad, infecciones en la práctica dental y seguridad del paciente, desde 2014 a la fecha, en español e inglés.

Definición de protocolo y bioseguridad en el área de esterilización

Se define protocolo como el conjunto de normas y disposiciones legales vigentes que, junto a los usos, las costumbres y las tradiciones, rige la celebración de los actos oficiales y, en otros muchos casos, la celebración de actos de carácter privado, cuyo objetivo es cubrir todas las necesidades que requiere el conjunto de actividades que deben ser realizadas (4-11-31). En términos de bioseguridad, se trata de la adopción de un comportamiento preventivo (actitudes y conductas) por parte del personal que trabaja en una institución que presta los servicios sanitarios, cuyo propósito es disminuir el riesgo del profesional de adquirir infecciones en el medio laboral (11-31). Las precauciones han sido establecidas por diferentes organizaciones como la Organización Mundial de la Salud (OMS), el Centro Europeo para la Prevención y el Control de Enfermedades (ECDC), la Comisión Europea, el Centro para el Control y Prevención de Enfermedades (CDC) de los Estados Unidos, la Administración para la Seguridad y la Salud Ocupacional (OSHA) de los Estados Unidos, la Asociación Dental Americana (ADA) y la Asociación para la Prevención y Control de Infecciones de Canadá (IPAC) (12).

El protocolo de bioseguridad aplicado en el área y en el proceso de esterilización dental tiene como finalidad reducir el riesgo de transmisión de enfermedades

infectocontagiosas a través de tejidos, sangre, secreciones orales y respiratorias; desde el paciente hacia los profesionales y colaboradores; de estos al paciente; y entre pacientes del servicio odontológico, y disminuir los fracasos en los tratamientos dentales.

La esterilización en el ámbito dental

La esterilización es un proceso físico o químico que destruye todas las formas de vida microbianas presentes en instrumentos utilizados en los tratamientos dentales, incluyendo las formas de resistencia (esporas), virus y bacterias (5-14), además garantiza la seguridad tanto del paciente como del profesional y del personal que se encuentra trabajando dentro de una clínica dental. Es muy diferente desinfectar a esterilizar, pero muchos profesionales desconocen el proceso, por lo que lo hacen de manera incorrecta e incompleta. La esterilización tiene como objetivo eliminar absolutamente todos los microorganismos, mientras que la desinfección solo elimina algunos de ellos (14).

Para garantizar la esterilización en el ámbito odontológico se deben cumplir unos parámetros estrictos que se describen en este artículo.

La esterilización por vapor de agua (autoclaves) es el único método que consigue una efectividad del 100% y es el más utilizado en las clínicas dentales a nivel mundial, comparado a otros métodos utilizados (15) (Figura 1)

Todo el personal vinculado a una clínica dental debe estar capacitado en las medidas universales de bioseguridad, y debe disponer, por parte de sus empleadores, de forma gratuita y oportuna, de elementos de barrera o contención para su protección personal, en cantidad y calidad acordes con los riesgos existentes en los lugares de trabajo, sean estos riesgos reales o potenciales.

Barreras protectoras externas La utilización de mascarilla, batas de manga larga hechas con material sintético (antifluido) y el uso exclusivo del área de trabajo son esenciales. El gorro debe usarse todo el tiempo que

Figura 1. Se muestra un cuadro comparativo de autores que investigaron la efectividad de los distintos métodos de esterilización según la bibliografía a través del tiempo.

Descubre las ventajas de comprar en La Tienda Gaceta Dental

Disponemos de más de 200 libros de Odontología para perfeccionar tu formación como dentista. Incorporamos novedades editoriales cada mes.

Asesoramiento preventa y posventa, envío gratuito en península y devolución gratuita hasta 14 días.

5% descuento

Impulsa:

se permanezca en el centro dental, incluso en el área de esterilización (23). La protección ocular (protectores faciales, pantallas, visor o gafas) es importante para prevenir salpicaduras de fluidos o de partículas proyectadas hacia el rostro del operador, mientras se manipula el material o los instrumentos en cada procedimiento, teniendo en cuenta que muchos gérmenes de la flora oral normal son patógenos oportunistas (521). El uso de mascarillas protege la mucosa nasal (vía aérea) y la vía oral de contaminación por el aire, ya que los aerosoles pueden contener microorganismos o partículas de sangre o fluidos (13). Los guantes deben ser de látex y estar ajustados a la medida del operador. Después de cada paciente atendido, se recoge y se separa el material sucio y contaminado, y todos los instrumentos y material a esterilizar se depositarán en un recipiente plástico/metálico para ser transportados de manera segura del gabinete dental al área de esterilización para prevenir incidentes o accidentes de riesgo biológico, sin que este recipiente contenga ningún tipo de sustancia química.

En este paso el operador deberá retirar los guantes contaminados y realizar el lavado de manos (5-16).

Lavado de manos

Se recomienda una duración de entre 20 y 30 segundos con gel dermatológico o jabón líquido y hacer lo siguiente: abrir el grifo y mojar con abundante agua las manos; aplicar con el dosificador una sola dosis de gel dermatológico o jabón líquido; extender el jabón frotando por toda la superficie de las manos, con especial atención a los pliegues

interdigitales y el contorno de las uñas; aclarar con abundante agua hasta eliminar completamente los restos de jabón; secar con toalla de papel desechable por cada aplicación, sin deslizar el papel sobre la piel, hasta que las manos queden completamente secas; y cerrar el grifo con el papel de manos, evitando cualquier contacto de los dedos con el grifo (13-21).

El secado de manos cumple dos funciones importantes: retirar el exceso de agua y los microorganismos muertos o inhibidos. No se debe utilizar toalla de tela, pues esta actúa como objeto inanimado que porta microorganismos; si se utiliza, algunos de estos microorganismos se adhieren a la piel de los próximos en secarse y se pierde la acción microbicida del agente de lavado (17).

Luego, el operador deberá colocarse guantes domésticos de goma a medida para la manipulación de aquellos instrumentos cortantes o punzantes utilizados en la atención del paciente para trasladarse al área de esterilización con todo el material sucio y contaminado en su respectiva bandeja.

Una vez que el operador se encuentre en el área destinada para realizar el proceso de esterilización, lo correcto es pasar, primero, los instrumentos por la desinfección de alto nivel con soluciones especiales que, por lo general, contienen glutaraldehido o detergente enzimático.

El uso de un equipo limpiador ultrasónico juega un papel crucial en la primera fase del proceso de esterilización dental, ya que disminuye notablemente el riesgo de accidente biológico. Este equipo genera ondas sonoras de alta

Escanea el código QR con tu smartphone para acceder al listado de precios o accede a www.expadent.com/precios

YA DISPONIBLE EXPADENT APP

Hemos mejorado nuestro sistema de gestión, y ahora cualquiera de nuestros clientes podrán realizar los pedidos directamente desde nuestra aplicación, intuitivamente.

También permite hacer un seguimiento total del proceso de fabricación y de envío del pedido realizado. CORONA ZIRCONIO MULTICAPA 49,90 euros …y como siempre con los precios más competitivos del mercado

frecuencia que crea microburbujas en el líquido de limpieza, generando una gran cantidad de energía que impacta sobre las superficies de los instrumentos, desalojando de manera efectiva la suciedad, restos de materia orgánica, biofilm adheridos a los instrumentos y materiales dentales adheridos a ellos por muy pequeños o inaccesibles que sean (4).

Si no se cuenta con un equipo limpiador ultrasónico, podrá hacerse este paso de manera manual, sumergiendo el material en una solución desinfectante de alto nivel o detergente enzimático dentro de un recipiente plástico con tapa (no debe ser metálico) destinado únicamente para este fin, que debe ser rotulado con la fecha de preparación y no debe utilizarse por ningún motivo 14 días después de su preparación y activación, a no ser que tenga indicaciones diferentes por el fabricante (4-13).

Este desinfectante de alto nivel o detergente enzimático disminuye la biocarga en los materiales o instrumentos utilizados en consulta para poder ser manipulados sin mayor riesgo y deberá ser cambiada a diario la cantidad que se vierte en el recipiente plástico (30). Luego, con un cepillo de cerdas duras, se limpian los instrumentos uno a uno, garantizando visualmente que no queden restos de partículas de materia orgánica, sangre, biofilm o restos de materiales dentales como los cementos o composites.

Selección del proceso adecuado para instrumentos de atención clínico dental

En la atención clínica se utiliza gran cantidad de equipos, instrumentos y materiales que toman contacto

con el paciente por distintas vías. El procedimiento requerido por cada instrumento es particular. Con el fin de seleccionar el tratamiento más adecuado, el Dr. E. H. Spaulding clasificó a los instrumentos hospitalarios en tres categorías. Esta clasificación se considera la más racional para estos propósitos (13).

Si bien la complejidad de la atención en salud en la actualidad ha hecho que se cuestionen muchos aspectos de la clasificación original, en términos generales sigue siendo válida para la mayoría de los instrumentos. La limpieza de los instrumentos es diferente según su clasificación. La clasificación responde en particular al uso que se le da en el manejo del paciente. Su manejo está de acuerdo con los siguientes criterios: según su composición (metálico, plástico, vidrio) y según su categoría (Operatoria, Endodoncia, Periodoncia, Implantología, Cirugía, Ortodoncia, Prostodoncia).

Según su riesgo de infección se clasifican:

-Crítico: penetran (lavar, desinfectar, esterilizar).

-Semicrítico: contactan (lavar, desinfectar, esterilizar).

-No crítico: no contactan (lavar, desinfectar).

•Críticos

Son los objetos que entran a cavidades normalmente estériles del organismo, incluido el sistema vascular. Estos objetos representan un riesgo alto de infección si están contaminados con cualquier microorganismo, por lo que deben ser siempre estériles. Ejemplos: instrumental quirúrgico, cirugía simple, cirugía compleja, Implantología, Periodoncia (13-18).

•Semicríticos

Son aquellos que entran en contacto con piel no intacta o con mucosas. Las mucosas son, por lo general, resistentes a las infecciones por esporas bacterianas comunes, pero susceptibles a las formas vegetativas de las bacterias, virus y M. Tuberculosis. Estos instrumentos deben estar libres de toda forma vegetativa de los microorganismos y, como preferencia, deben estar estériles. En caso de que la esterilización no sea posible deben recibir, al menos, un procedimiento de desinfección de alto nivel. Ejemplos: jeringa de anestesia, puntas de escáner dental, espejos intraorales, micromotores (13-18).

•No críticos

Estos artículos solo toman contacto con la piel intacta o no toman contacto con el paciente. La piel sana actúa como una barrera efectiva para la mayoría de los microorganismos y, por lo tanto, el nivel de desinfección puede ser mucho menor. En general solo requieren limpieza y secado y, en ocasiones, desinfección de bajo nivel. Ejemplos: el sillón dental, escáner, lámpara de polimerización, equipo de rayos X (13-18).

Infraestructura del área de esterilización

Toda clínica dental debe contar con un área de esterilización diseñada con unas características especiales, ubicada estratégicamente para el fácil acceso entre los gabinetes y esta área.

En este sentido, las superficies deben estar construidas con materiales que resistan el lavado y la aplicación diaria de los agentes químicos de limpieza.

«El control de infecciones en una clínica dental debe ser un procedimiento rutinario, pues todo el personal está expuesto al contacto con microorganismos que producen enfermedades»

También debe contar con una poceta para uso exclusivo del instrumental; al igual que con suministro eléctrico para los equipos del proceso de esterilización.

Cada lugar se encuentra estrictamente señalizado para indicar el o los procesos realizados, bajo un flujo unidireccional, que se describe a continuación:

•Distribución unidireccional

La distribución unidireccional se refiere a un flujo o a un movimiento en un proceso que ocurre exclusivamente en una sola dirección. Es decir, en el proceso de esterilización evoluciona siguiendo un único camino, sin retroceder.

1. Área de recepción. Es el área donde se recibe todo el instrumental contaminado que viene desde cada gabinete dental por individual.

2. Área contaminada/sucia. Es el área donde se encuentra el material e instrumental sumergido en el detergente enzimático dentro de un recipiente plástico o equipo limpiador ultrasónico y que se deja actuar

«Todo paciente debe ser atendido como una persona de alto riesgo de infecciones, haciendo uso de las medidas de bioseguridad adecuadas»

empacados y rotulados para el respectivo proceso de esterilización en el autoclave.

Una vez organizados y seleccionados, los instrumentos se introducen en una bolsa de esterilización no reutilizable donde cada una de ellas llevará dentro un indicador de control químico.

durante 20 minutos. El operador deberá estar utilizando los EPP, donde posteriormente serán retirados con pinzas y utilizando los guantes domésticos de goma (13-21).

3. Área de lavado y secado. Tras retirar los elementos del detergente enzimático se debe aclarar el material con abundante agua de 30 a 40 segundos y se realiza una inspección visual para garantizar que los elementos no contengan ningún tipo de residuo de material dental o de estructuras biológicas como tejidos o sangre seca. Si así fuera deberá utilizarse un cepillo de cerdas duras para retirar los residuos y garantizar, de este modo, la limpieza total del instrumento.

Se colocan paños absorbentes no reutilizables sobre el mesón y se organiza el material y/o los instrumentos para que se sequen. En muchas clínicas dentales cuentan con mangueras de aire a presión para agilizar este paso (13-21).

4. Área limpia. En esta área se realiza la preparación, empaque y rotulado. En este sitio los instrumentos y elementos ya descontaminados y lavados son inspeccionados, preparados,

•Control de los procesos de esterilización . Todos los procesos de esterilización que se realizan en un autoclave deben ser sometidos de manera rutinaria a controles que garanticen y aseguren la calidad de la esterilización. En este proceso no se habla de probabilidad, sino de eficacia y efectividad, ya que es un proceso binario que arroja solo dos resultados posibles (está completamente estéril o no está estéril), no hay un punto intermedio y esto se mide a través de la adecuada monitorización de los indicadores que permite establecer la trazabilidad del correcto proceso de esterilización por autoclave. Existen tres tipos de indicadores, que se clasifican como físicos, químicos y biológicos.

-Indicadores físicos: se trata de un registro donde se documenta que se ha alcanzado la presión, la temperatura y el tiempo adecuado para garantizar los parámetros de la carga. Si no se cumplen los parámetros se considera no estéril, no siendo este un medio eficaz para la comprobación de esterilización. Deberá realizarse al inicio, durante y al finalizar en cada uno de los ciclos (13-18).

-Indicadores químicos: generalmente se encuentran disponibles en presentación de tirillas de alguna marca comercial. Estas migran de color sí cumplen con todos los parámetros como son la temperatura, la humedad,

«Algunos estudios indican que el uso de los EPP está más integrado al realizar algún procedimiento quirúrgico y no en procedimientos rutinarios menos invasivos»

la presión o la concentración del agente esterilizante en el proceso de esterilización por autoclave, pero, al igual que los controles físicos, no garantizan que el equipo esterilizador que se está usando esté realizando una esterilización efectiva, pero sí garantiza el buen funcionamiento del mismo (18-20).

Así, durante el proceso de esterilización debe tenerse en cuenta que, por cada carga, debe de haber un control químico interno y un control químico externo.

•Indicador químico interno: el indicador químico (tirilla) va en el interior de cada paquete a esterilizar. Cuando se realiza el proceso de esterilización dentro del autoclave, el indicador cambia de color si el proceso ha sido exitoso.

•Indicador químico externo: el indicador químico (tirilla) va dentro del autoclave, pero no dentro de ningún paquete a esterilizar. Sirve para comprobar si todo el proceso fue sometido a un ciclo de esterilización o no. Este control deberá ubicarse en la parte más “fría” del autoclave, en la parte anteroinferior (cerca a la puerta) (20).

Cada indicador químico debe tener unas indicaciones adecuadas para poder realizar el registro de los informes y, a su vez, poder realizar la trazabilidad del proceso para garantizar que cada ciclo de esterilización se haya realizado correctamente, poder garantizar la seguridad del paciente en la atención dental y evitar fracasos en algunos tratamientos dentales por infecciones. Cada indicador a introducir en cada paquete a esterilizar deberá contener un número de serie alfanumérico escrito y cada bolsa de esterilizar la fecha en la que se realizó el proceso.

A esto se le llamará número de lote y este incluye un código interno estándar que le coloca el personal encargado del proceso con las iniciales correspondientes a cada autoclave que se tenga para poder identificarlo; la fecha en la que se realiza el proceso de esterilización; y, por último, el número de carga (este número debe ser consecutivo al iniciar desde el 01 en adelante, se realiza por año, de enero a diciembre y al siguiente año inicia de nuevo de 01 y así consecutivamente).

Ejemplo: si se tiene un autoclave de marca “autoclave”, el código que le asigne internamente es AU. Luego, la fecha del proceso de empaque comenzando con el año, mes y día y finalizando con el número de carga. El número de lote será: AU2024082186 5. Área estéril. En esta área se ubican los equipos de esterilización para ser usados. En los centros dentales se utilizan autoclaves tipo B. Estos equipos son capaces de esterilizar todo tipo de carga, incluyendo instrumentos sólidos, huecos, porosos y textiles envueltos. Deben seguirse las indicaciones del fabricante y no sobrecargar

las bandejas con exceso de paquetes para evitar la sobrecarga, garantizando que todos los paquetes tengan igual saturación de vapor que garantiza la esterilización.

Cada equipo debe ser sometido a un programa de calibración anual y mantenimiento preventivo y correctivo.

-Almacenamiento de material estéril: en este sitio son almacenados los elementos ya estériles antes de ser utilizados, se distribuyen en los gabinetes y se usarán de los más antiguos por fecha de esterilización a los más nuevos. No hay una norma que mencione que los paquetes estériles tengan una fecha de caducidad, pero se recomienda que estén almacenados por un tiempo no más de seis meses después de haber sido esterilizados los paquetes, ya que pierden efectividad (21).

Los paquetes estériles deben cumplir con unas características de control para garantizar su calidad: cada paquete deberá estar completamente seco después del retirado del autoclave; cada paquete debe encontrarse íntegro y cerrado, sin perforaciones, ni desgarros; cada paquete debe preservar su indicador químico marcado con el número de serie; cada paquete deberá contener la fecha en la que se realizó

el proceso de empaque, rotulado y esterilización; y cada paquete no deberá presentar ningún signo de suciedad, fractura o deterioro.

Existen formatos de control químico de esterilización en los que se debe registrar el proceso. Este formato incluye la fecha del procesado de cada carga, el número de carga, el número de lote, la cantidad de paquetes que fueron esterilizados en esa carga y la descripción del contenido de cada paquete; frente a esta información deberá adjuntar el indicador químico externo. Este registro deberá diligenciarse por cada carga que se realice y cada autoclave deberá tener un formato de registro para el control químico propio (Figura 2)

Todo este proceso tiene una utilidad importante para realizar la trazabilidad del acto completo de esterilización. Las áreas deben considerarse un espacio donde no solo es el espacio físico el que cuenta con zonas funcionales, cada una con su dotación respectiva (equipos, materiales y recurso humano). Las zonas funcionales no son estructuras físicas, sino que se crean y se diferencian la una de la otra por los diferentes tipos de procesos que se desarrollan en dicha área, desde que empieza hasta que el material

Figura 2. Ejemplo de plantilla para el control de indicadores químicos de esterilización.

y los instrumentos son usados en la consulta nuevamente, garantizando la seguridad del paciente, la seguridad del equipo de profesionales (odontólogos, higienistas y personal auxiliar) y la mejora continua mediante indicadores de calidad que permiten conseguir criterios y estándares.

Cada indicador químico que se encuentra dentro de cada paquete estéril deberá adjuntarse a la historia clínica junto a la evolución del procedimiento por parte del profesional (odontólogo), como evidencia de que ese instrumental perteneció a dicho procedimiento con ese paciente específicamente, garantizando así la trazabilidad del proceso. De esta manera, se tiene un control químico interno por paquete para cada paciente (con un resultado ya sea negativo o positivo a cualquier microorganismo) y un control químico externo por cada proceso general de esterilización (con un resultado negativo o positivo). En caso de dar positivo se deberá realizar una revisión del equipo de esterilización y del proceso paso a paso en general.

-Indicadores biológicos: este tipo de indicadores son los únicos aceptados universalmente y sirven para verificar la eficacia y la eficiencia del ciclo de esterilización (8). Consisten en pequeños tubos que

contienen en su interior esporas de microorganismos muy resistentes, que deben ser introducidos una vez al mes en alguna carga que se realice para comprobar si estas esporas se han destruido o no, pero también para poder garantizar si el proceso de esterilización durante ese mes ha sido efectivo (8). Estos microorganismos se incuban en una pequeña incubadora de control biológico que se debe tener en las clínicas dentales, durante 24-48 y 72 horas y, posteriormente, se registrará en su respectivo formato de control biológico mensual de esterilización (827). Aquí se coloca la fecha en la que se introduce el indicador en el equipo esterilizador, el número de carga, el número de lote, si dio (+) o (-) a las 24 - 48 y 72 horas y poner la pegatina que contiene cada tubo de control biológico debidamente diligenciada con el número de lote (Figura 3)

DISCUSIÓN Y CONCLUSIONES

Ante la revisión de diferentes artículos científicos encontrados que describen todos los procesos de esterilización en O dontología, protocolos de bioseguridad y el uso permanente de EPP, hay una concordancia en los procesos que van orientados a la seguridad del paciente y a la de los profesionales en Odontología y su equipo

Figura 3. Ejemplo de plantilla para el control de indicadores biológicos de esterilización.
«Las principales fallas respecto al crecimiento bacteriano se encuentran durante el proceso de esterilización, a pesar de la elevada eficacia que presentan los diferentes métodos»

se observó en este estudio, donde ocurren accidentes de riesgo biológico y donde se deberían implementar los protocolos y normas de bioseguridad y uso adecuado de los EPP para prevenir y disminuir los riesgos, evitando así enfermedades infectocontagiosas (24, 25).

auxiliar. Sin embargo, se encuentra algún tipo de desinterés por parte de algunos de ellos para la actualización, formación continua y retroalimentación de los procesos dentro de su equipo de trabajo sobre cada tema. Por otro lado, el uso de los EPP no está en su totalidad integrado en la atención clínica del día a día, omitiendo uno o algunos de los EPP, como lo es en un 43% el uso del gorro y un 33% en el uso de la protección ocular (27-29). Algunos estudios indican que el uso de los EPP está más integrado al realizar algún procedimiento quirúrgico y no en procedimientos rutinarios menos invasivos como, por ejemplo, en la primera visita de evaluación clínica, en una profilaxis o en la cementación de coronas sobre implantes. Vale la pena reevaluar dentro de los equipos clínicos la retroalimentación de normas, protocolos y procesos en bioseguridad.

El no uso de los EPP durante la atención y en el proceso de esterilización en el momento de transportar, lavar y preparar el instrumental para ser esterilizado

El control de infecciones en una clínica dental debe ser un procedimiento rutinario, ya que todo el personal que trabaja en dicho lugar, incluyendo al equipo administrativo, pacientes en sala de espera y otros colaboradores, están expuestos al contacto con microorganismos que producen enfermedades y que se dispersan por el ambiente. Para ello se describen lineamientos en los protocolos de bioseguridad con el propósito de reducir el riesgo de transmisión e infecciones cruzadas originadas desde el gabinete dental y desde el espacio de esterilización hacia las otras áreas de la clínica, siendo uno de ellos la correcta y completa desinfección y esterilización de instrumentos y materiales.

Las principales fallas respecto al crecimiento bacteriano se encuentran durante el proceso de esterilización, a pesar de la elevada eficacia que presentan los diferentes métodos. Siendo 100% efectivo el autoclave (31), a veces falla haciendo que los instrumentos o materiales no estén estériles, debido a errores durante el proceso; a saltarse pasos; a no realizar la debida inspección visual previo al empacado, dejando residuos de materia orgánica, sangre o material dental adherido al instrumental; al realizar la apertura del autoclave prematuramente; al mal sellado de las bolsas de esterilizar; o a los problemas mecánicos que se pueden presentar durante los ciclos

ON E FO R ALL

de esterilización que no se evidencian al no utilizar los indicadores de control químico e indicadores biológicos. También se debe al exceso de carga en el autoclave, convirtiéndose dicho instrumental en portador de enfermedades transmisibles, no garantizando la seguridad al paciente.

Otra falla que se presenta en la contaminación está en el almacenamiento de los paquetes ya estériles, en lugares inadecuados, húmedos y sucios o por la incorrecta manipulación de los mismos.

Todo paciente debe ser atendido como una persona de alto riesgo de infecciones, haciendo uso de las medidas de bioseguridad adecuadas y siguiendo los protocolos establecidos por cada entidad o gobierno (27).

El uso de los indicadores y el correcto diligenciamiento de los registros del proceso de esterilización de manera adecuada y organizada garantiza la trazabilidad del proceso, mejora la calidad en la atención clínica, la seguridad del paciente y la prevención de infecciones cruzadas.●

BIBLIOGRAFÍA

1. MINISTERIO DE SALUD, DEPARTAMENTO DE CALIDAD Y FORMACIÓN, PROGRAMA CONTROL DE IAAS. Informe de Vigilancia de Infecciones Asociadas a la Atención en Salud, 2014. Disponible en: http://web.minsal.cl/wp-content/ uploads/2016/10/informe-IAAS-2014.pdf

2. KRAMER A, SCHWEBKE I, KAMPF G. How long do nosocomial pathogens persist on inanimate surfaces? A systematic review. BMC Infect Dis 2016; 6: 130.

3. BALIBREA J, BADIA J, RUBIO PÉREZ I, MARTIN ANTONA E, ALVAREZ PEÑA E, GARCÍA BOTELLA S, ET AL. Manejo quirúrgico de pacientes con infección por COVID-19. Recomendaciones de La Asociación Española de Cirujanos. Cirugía Española. 2020 mayo; 98(5):251-259. doi: 10.1016/j. ciresp.2020.03.001.

4. CENTERS FOR DISEASE CONTROL AND PREVENTION. Recom- mended infection-control practices for dentistry, 2013. MMWR Recomm Rep. 2013 May 28; 42(RR-8): 1-12. Disponible en: http://www.cdc.gov/mmwr/preview/ mmwrhtml/00021095.htm marzo 21.

5. BADANIAN A. Bioseguridad en odontología en tiempos de pandemia COVID-19. ode [Internet]. 21 may 2020 [citado 29 set. 2022];22(especial):4-4. Disponible en: https://www.odon. edu.uy/ojs/index. php/ode/article/view/298.

6. SUASTE OLMOS F, CUEVAS GONZÁLEZ MV, GARCÍA CALDERÓN AG, CUEVAS GONZÁLEZ JC. Conociendo al

COVID-19 y la labor odontológica ante la pandemia. Odontol San marquina [Internet]. 6 de mayo de 2020 [citado 29 de septiembre de 2022];23(2):101-3. Disponible en: https:// revista sinvestigacion.unmsm.edu.pe/index.php/odont/ article/view/17753.

7. CAZAR TE, LANAS GA. Valoración epidemiológica de accidentes precutáneos de riesgo biológico en estudiantes y docentes de odontología, Revista facultad de “odontología” 2016 jul;18(1):p 47-52 disponible en: http:// revistadigital.uce.edu.ec/index.php/ODONTOLOGIA/article/ view/119

8. GARCÍA PR. Indicadores biológicos. Los jueces de la esterilización en odontología. Milenaria, ciencia y arte. 2021; 10(17):18-20. Disponible en: file:///C:/Users/usuario/Desktop/ Downloads/Dialnet-IndicadoresBiologicos-9147090%20(2). pdf [Consulta 14/09/2022].

9. AMSALU A, FEREDE G, ESTHETIE S, TADEWOS A, ASSEGU D. Prevalence, Infectivity, and Associated Risk Factors of Hepatitis B Virus among Pregnant Women in Yirgalem Hospital, Ethiopia: Implication of Screening to Control Mother-to-Child Transmission. J Pregnancy. 2018; 2018: 8435910.

10. CAZAR BRITO TE, LANAS TERÁN GA. Valoración epidemiológica de accidentes percutáneos de riesgo biológico en estudiantes y docentes de Odontología. Odontología. 2016;18(1):47-52.

11. FLORES M, ONETTO JE, JAMETT J, SIEVERS D. Odontología en tiempos de pandemia: desafíos para una nueva época. Valparaíso: Universidad de Valparaíso, Facultad de Odontología 2020. 11 p. Disponible en: https://facultadodontologia.uv.cl/ima ges/Documentos/ odontologiaenpandemia.pdf [Consulta 14/09/2022].

12. RODRÍGUEZ MORALES AA, SÁNCHEZ DUQUE J, HERNÁNDEZ BOTERO S, PÉREZ DÍAZ C, VILLAMIL GÓMEZ W, MÉNDEZ CLAUDIO A, ET AL. Preparación y control de la enfermedad por coronavirus 2019 (COVID-19) en América Latina. Acta médica Perú 2020 Enero; 31(1):3-7. http://dx.doi. org/10.35663/amp.2020.371.909

13. ZABALA D, AGUILAR L, JARA P. Protocolo de esterilización, limpieza y desinfección de artículos clínicos odontológicos. Facultad de Odontología, Universidad Andrés Bello, 2021. 35 p. Disponible en: https://facultades.unab.cl/ odontologia/wp-content/uploads/2022/08/Protocolo-de-es terilizacion-limpieza-y-desinfeccion-de-articulos-clinicosodontologicos..pdf [Consulta 10/08/2022].

14. LANEVE E, RADDATO B, DIOGUARDI M, DI GIOIA G, TROIANO G, LO MUZIO L. Sterilisation in Dentistry: A Review of the Literature. Int J Dent. 2019 Jan 15; 2019:6507286. doi: 10.1155/2019/6507286.

15. TOLE ACOSTA H, HERNANDEZ ROLDAN P, SAMARA ORDOÑEZ M. Proceso de desinfección y esterilización en centros odontológicos, revisión literaria desde el estado del arte del instrumento quirúrgico. Rev Odontol Latinoamérica 2020; 12(2):35-45. Disponible en: https://www.odontologia. uady.mx/ revistas/rol/pdf/V12N2p35.pdf [Consulta 14/09/2022].

16. ARGÜELLO MEDRANA D, MENDOZA NAVARRETE S. El nuevo enfoque para la atención odontológica durante la pandemia de COVID-19. Revisión bibliográfica. Metro ciencia. 2021; 29(1):5864. doi: 10.47464/METROCIENCIA/VOL29/1/2021/58-64.

17. BALOH J, THOM KA, PERENCEVICH E, ROCK C, ROBINSON G, WARD M, HERWALDT L, REISINGER HS. Hand hygiene before donning nonsterile gloves: Healthcareworkers´ beliefs and practices. Am J Infect Control. 2019(18); 31107-6.

18. CUMBO E, GALLINA G, MESSINA P, SCARDINA GA. Alternative Methods of Sterilization in Dental Practices Against COVID-19. Int J Environ Res Public Health. 2020 Aug 8; 17(16):5736. doi: 10.3390/ijerph17165736

19. ALIA SN, JOSEPH N, PHILIP N, AZHARI NN, GARBA B, MASRI SN, SEKAWI Z, NEELA VK. Diagnostic accuracy of rapid diagnostic tests fst the early detection of leptospirosis. J Infect Public Health. 2018;(18):10.137.

20. RODRÍGUEZ RODRÍGUEZ P. Protocolos de desinfección y esterilización del instrumental rotatorio en odontología. Repositorio UNIBE. [Online].: Universidad Iberoamericana; 2020. 44 p. Disponible en: https://repositorio.unibe.edu.do/ jspui/ bitstream/123456789/392/1/180975_TF.pdf [Consulta 10/08/2022].

21. URUGUAY. Ministerio de Salud Pública. Protocolo de condiciones y medio ambiente de trabajo. Medidas de protección del equipo de salud y usuarios del SINS. informe técnico. MSP; 2020. 43 p. Disponible en: https://www.gub.uy/ministerio-salud-publica/sites/ ministerio-salud-publica/files/do cumentos/noticias/ MSP_PROTOCOLO_TRABA JADORES_17_04_0.pdf [Consulta14/09/2022].

22. WORLD GASTROENTEROLOGY ORGANISATION PRACTICE GUIDELINES. Heridas producidas por punción con aguja. Disponible en: http://www.worldgastroenterology.org/assets/ downloads/es/pdf/guidelines/herida_roducida_por_puncion_ con_aguja.pdf

23. ORGANIZACIÓN MUNDIAL DE LA SALUD. Uso de mascarillas en el contexto de la COVID-19: Orientaciones provisionales. Documento técnico. Ginebra: OMS; 2020. 24 p. Disponible en: https://iris.who. int/handle/10665/337833 [Consulta 14/09/2022].

24. CORIA LJJ, AGUADO HG, GONZÁLEZ OA, ÁGUILA TRL, VÁZQUEZ FA, PÉREZ RVM. Lesiones por riesgo ocupacional con diferentes dispositivos entre profesionales de atención a la salud y sus jornadas de trabajo en un Hospital de Tercer Nivel de Atención de 2015 a 2017. Rev Latin Infect Pediatr. 2017;30(1):15-21.

25. ABDELHADI HBIBI, JALAL KASOUATI, REDA CHAROF, SOUAD CHAOUIR, KARIMA EL HARTI. Evaluation of the Knowledge and Attitudes of Dental Students toward Occupational Blood Exposure Accidents at the End of the Dental Training Program. J Int Soc Prev Community Dent. 2018;8(1):77-86.

26. MARTÍNEZ VENTURA KA. La COVID-19 y sus repercusiones en la práctica odontológica. Revista ADM. 2022 mayo-junio; 79(3):152-155. doi: 10.35366/105828.

27. DÍAZ ALFONSO GR. Estado actual de los procesos de esterilización, sociedad cubana de bioingeniería 2023.

28. ARAUJO M, ANDREANA S. Risk and prevention of transmission of infectious deseasses in dentistry. Quintessence Int 2022; 33:376-82.

29. BOTELHO M, GAO X, BHUYAN SY. An analysis of clinical transition stresses experienced by dental students: A qualitative methods approach. Eur J Dent Educ. 2018;22(3):e564-e572. 62

30. DUARTE R, LOYA M, SANÍN I, REZA S. Accidentes por Objetos Punzocortantes en Estudiantes de una Escuela de Odontología. Cienc Trab. 2016;8(21):131-134.

31. HUESCA ESPITIA LC, SUVIRA M, ROSENBECK K, KORZA G, SETLOW B, LI W, WANG S, LI YQ, SETLOW P. Effects of steam autoclave treatment on Geobacillus stearothermophilus spores. J Appl Microbiol. 2016; 121(5):1300-1311.

Formación continua en Odontología: la clave de la excelencia

Nadie pone en duda la necesidad de la formación continua en la Odontología. Todos los perfiles que trabajan en el sector tienen el compromiso ético de prepararse y reciclarse para ofrecer lo mejor a sus pacientes. Así se puso de relieve en un encuentro, celebrado en la sede de Ivoclar Academy, donde, además de destacarse el alto nivel de la Odontología española, todos los invitados coincidieron en la relevancia de caminar y trabajar todos juntos para afrontar los retos actuales y futuros del sector que implican desde actualizaciones de competencias hasta cambios legislativos o regulaciones específicas.

Los participantes en el encuentro, junto a representantes de Ivoclar, en las renovadas instalaciones de Ivoclar Academy. Fotos: Xavi Gómez.

A pesar de que la formación continuada en Odontología no es obligatoria en España, sus profesionales comprenden que para estar al día en una rama que evoluciona tan rápidamente y, muy especialmente, para ofrecer la mejor atención asistencial a los pacientes, necesitan de esa actualización y reciclaje permanentes.

Coincidiendo con el reopening de Ivoclar Academy en su sede de Madrid, celebramos, en este renovado espacio dedicado a la formación, una mesa de debate para hacer un análisis de cómo es actualmente la realidad de la formación continuada y cómo se vislumbra de cara al futuro. A la convocatoria se sumó una buena

«El sector, todos sus protagonistas, deben trabajar muy de la mano teniendo como foco el paciente»

representación de los diferentes perfiles profesionales del sector, entendiendo que la aportación de cada pieza de este equipo es fundamental para su buen funcionamiento y, por ende, para la atención del paciente. Así, y bajo la moderación de Gema Bonache, directora de Gaceta Dental, se contó con la participación de Lluís Giner, presidente de la Conferencia de Decanos y Directores Académicos de las Facultades de Odontología de España (CRADO); Marisol Ucha, presidenta del Colegio de Odontólogos y Estomatólogos de la I Región (COEM); Cristina Navarro, secretaria del Colegio de Higienistas Dentales de la Comunidad de Madrid; Luis Garralda, presidente del Sector Dental de

«Para llegar a más profesionales, la motivación no tiene que venir solo de la obligatoriedad de la formación continua»
Dr.

Fenin (Federación de Empresas de Tecnología Sanitaria); Juan Carlos Megía, coordinador de Formación del Colegio de Protésicos Dentales de Madrid; Rafael Piñeiro, director del Estudio Dental Rafa Piñeiro y Miguel Arroyo, director del laboratorio Lab Dental Creative.

FORMACIÓN DE ALTO NIVEL

Como profundo conocedor del panorama formativo odontológico, abrió el turno de intervenciones el Dr. Lluís Giner, quien hizo hincapié en el alto

nivel de la formación que se imparte en España. «Las universidades españolas, al igual que su Odontología, tienen unos indicadores muy elevados de prestigio. En concreto, en la formación de Grado tenemos ocho Facultades de Odontología españolas, entre las 300 mejores del mundo, dentro del prestigioso ranking de Shanghái; a tres dentro de las 100 mejores en el ranking QS y cada año hay alguna que sube en la clasificación. Tenemos también a 18 profesionales españoles, muchos vinculados a la universidad, entre los mejores del mundo según el Ranking de Stanford. En definitiva, pienso que la Odontología española está en un muy buen nivel en todos los sentidos, tanto en la formación como en la aplicación de la Odontología».

Sin embargo, también quiso poner de relieve algunas de las carencias del sistema formativo español en el terreno odontológico. «La norma europea en el Grado la hemos aplicado muy bien, pero no hemos aplicado el tema de las especialidades oficiales. Seguimos siendo el único país de Europa que no tiene las especialidades reconocidas en Odontología. También está la formación continuada obligatoria en normativa europea, pero tampoco se ha aplicado. En este momento creo que solamente hay siete países en Europa que están sin la formación continua obligatoria».

Sobre este último aspecto, objeto de la reunión, destacó el Dr. Giner, «nadie pone en duda la importancia y la necesidad de la formación continuada. Creo que la mayoría de profesionales del sector, protésicos, higienistas y dentistas, tienen esa responsabilidad con la formación continuada. Sin embargo, sería conveniente tener esta formación obligatoria para una mayor credibilidad de la profesión y para facilitar la movilidad internacional

Cuente con Tetric® plus

Tetric® plus Composite universal simplificado

– 5 clases de cavidad – 4 colores – 3 segundos de polimerización

– 2 viscosidades – 1 composite universal

«Nuestra Odontología es excelente, de las mejores del mundo y ese mensaje tiene que llegar al paciente»
Dra. Marisol Ucha, presidenta del COEM

de los profesionales. Una formación continua obligatoria, evaluada y, de alguna manera reconocida, por una entidad representada por todos los actores que estamos en la Odontología, incluso por los pacientes». Pero, antes de su establecimiento, primero «se deberían definir cuáles serían las indicaciones de esta formación continuada obligatoria y qué contenidos o qué temas serían los importantes que fueran los obligatorios como los relacionados con la seguridad del paciente, el tratamiento de pacientes especiales,

vulnerables o médicamente comprometidos, etc. Además, año a año, mes a mes, cambia el conocimiento en temas que debemos absorber para poder atender bien a los pacientes. Y a esto también debe responder la formación continuada», especificó el presidente de CRADO.

PROTÉSICOS E HIGIENISTAS

DEMANDAN TÍTULO

UNIVERSITARIO

En el caso particular del colectivo de protésicos dentales, Juan Carlos Megía se mostró muy crítico con el programa formativo de la titulación -Grado Superior de FP-, reivindicando una titulación universitaria para la rama: «por volumen de horas, por calidad y por la evolución de lo que es la Prótesis Dental en sí. Actualmente, la formación que se ofrece en el título es muy mala. Los chavales salen de las escuelas con unas carencias brutales, lo que hace aún más necesaria la formación continua. Desde el colegio profesional que represento, prácticamente todas las semanas tenemos alguna actividad formativa. ¿Por qué? Porque vemos que nos pilla el toro. La evolución de técnicas y maquinarias nos obliga a estar formados. Apostamos por la formación porque es el único camino. Tenemos que formarnos y tenemos que ir de la mano de los clínicos en muchos campos: tejidos, técnicas, ATM, etc. Los cursos que organizamos de formación online se llenan. Estamos abordando técnicas más complicadas, cosas más complejas, para responder a las demandas de la clínica con, por ejemplo, el tema de las cargas inmediatas. Insisto en que tenemos que estar muy comprometidos y muy cerca de los clínicos, para ofrecer lo mejor a los pacientes».

Las cosas no cambian demasiado entre los higienistas dentales. «Es un colectivo que está muy motivado

respecto a la formación continuada. Desde el Colegio de Higienistas de Madrid lo vemos continuamente. El año pasado la organización ofertó 83 cursos, algunos en colaboración con otras sociedades, y en diferentes modalidades (presencial, online, stream...). Unas formaciones que siguieron más de 2.500 profesionales», destacó Cristina Navarro. «Un dato –prosiguió– que confirma que es un colectivo comprometido, que se mueve. Podéis comprobar la alta asistencia a aquellos congresos y eventos del sector con programas paralelos específicos para higienistas dentales». Coincidiendo con los protésicos dentales, Cristina Navarro advierte que la formación de base, la que se ofrece en el Grado de Técnico Superior en Higiene Bucodental, «se queda corta, teniendo en cuenta las competencias que a nivel profesional se van a realizar, un tema que a los higienistas nos inquieta y nos gustaría que nuestra formación fuera también superior. No obstante, realmente creemos que hay que empezar por definir bien las competencias, que, en nuestro caso, están un poco desfasadas con la práctica clínica diaria».

FORMACIÓN ACCESIBLE

Al igual que las organizaciones profesionales en el campo de la Prótesis y la Higiene, los Colegios Profesionales de Dentistas se preocupan muy mucho por la formación de sus colegiados. Un claro ejemplo es el COEM, cuya Comisión Científica prepara todos los años un intenso y cuidado programa formativo. «Todos los jueves, a las 8 de la tarde, celebramos en nuestra sede una sesión formativa de calidad y en campos de gran interés para la profesión. Desde el COEM, queremos y tenemos la firme convicción de que la formación tiene que ser lo más

«Tenemos que coger la ola que viene con la IA y la formación no puede permanecer ajena a esta imparable evolución»
Miguel

Arroyo, director de Dental Lab Creative

accesible posible para los profesionales.

De hecho, muchos de nuestros cursos tienen carácter gratuito, otros precios simbólicos y, cada dos años, el colegio hace un gran esfuerzo para celebrar nuestro propio congreso, cuya última edición acabamos de clausurar. Tenemos que estar al lado de nuestros colegiados. Desde el COEM, con un número de colegiados tan elevado, con siete universidades en Madrid impartiendo Odontología, entendemos que hay que ayudar al colectivo a formarse, a aumentar su preparación

para ofrecer lo mejor a unos pacientes que cada vez son más exigentes, que quieren lo mejor. Para ello, ahí está también la labor de la industria, que invierte en investigación, desarrollando herramientas, materiales o técnicas cada vez mejores. Formarse a lo largo de su carrera es una obligación ética de cualquier profesional sanitario y nosotros, como institución, tenemos la obligación de ofrecerles esta formación. Esto desde el COEM lo tenemos muy interiorizado. Es una prioridad», destacó la Dra. Marisol Ucha, presidenta del Colegio de Odontólogos y Estomatólogos de la I Región.

CAMBIOS GENERACIONALES, MOTIVACIÓN Y ADAPTACIÓN

Y, ¿es atractiva la formación continua o hay que hacer más esfuerzos ahora para captar el interés de los profesionales, especialmente de los más jóvenes? ¿No tenéis la sensación de que cada vez cuesta un poco más atraer? Se les preguntó a los invitados.

«Tenemos jóvenes extraordinarios, pero tenemos una sociedad muy permisiva donde todo vale y poco se exige», advirtió la Dra. Ucha. Al hilo, el Dr. Lluís Giner, encontraba la explicación a la falta de motivación, compromiso y responsabilidad a los cambios generacionales y a la necesidad de adaptarse de todos. «Tú, como profesor, ya no puedes dar una charla de una hora seguida, como yo daba, y me lo pasaba de maravilla. Las nuevas generaciones viven ya con cuatro pantallas a la vez, en una le tienes que enseñar cómo haces el margen, en la otra cómo mover las manos, en la otra el powerpoint, en la otra tu cara explicándole. Y esto tiene que durar pocos minutos. Hemos de ver también cómo nos adaptamos a los cambios, a la realidad actual, para motivar. Y esto no es fácil porque la motivación es algo muy personal. Cada uno encuentra motivaciones en aspectos muy diversos. Colegios, industria…, como decía Marisol, desde el sector se hacen esfuerzos para democratizar el acceso a la formación, pero para poder llegar a cada vez más profesionales pienso que la motivación no tiene que venir solo de la obligatoriedad. Además, coincido con Juan Carlos Megía que todos los profesionales de la Odontología tenemos que ir muy de la mano, definiendo muy bien las competencias, porque el sector, la sociedad, cambia a un ritmo muy rápido», advirtió el presidente de CRADO.

Como propietario de un laboratorio dental, y miembro de la junta directiva de SOCE (Sociedad Española de Odontología Digital), Miguel Arroyo ofreció su punto de vista sobre la formación continuada. «Creo que el que quiere, quien tiene voluntad, se forma. Uno de los problemas de

Los participantes en la mesa de debate coincidieron en destacar el gran nivel de la Odontología española.

Perfecciona tus habilidades clínicas en Ortodoncia

Manual de Ortodoncia Clínica. Tomo 1

Un manual repleto de fotografías y casos clínicos muy bien detallados que aúna los conocimientos clásicos y los más recientes avances en Ortodoncia.

Organiza:
Impulsa:
«Por fin se está poniendo el foco en la prevención y aquí nuestro colectivo tiene mucho que aportar»
Cristina Navarro, secretaria del Colegio Profesional de Higienistas Dentales de Madrid

respuesta es: jamás. No saben lo que es la oclusión y ya están diseñando. No saben de compensación de fuerzas y ya están diseñando», afirma. «Además -destacó Arroyo-, a nivel colectivo tenemos otro hándicap: el reciclado de mucha gente que se ha quedado atrás, que ha costado mucho meterles en lo digital y si pensamos en la ola que llega con la IA… Esto ya tendría que estar en las escuelas, en la universidad. Yo ya estoy preparándome para ello, estoy preparando al personal de mi laboratorio para ello. Es tal el avance y tan rápido que tenemos que reciclar incluso a la gente que está ya en lo digital. Esto cambia día a día, lo que obliga a que la formación tenga que cambiar también», destacó. Al igual que el concepto tradicional de congreso -prosiguió- «cuesta mucho llenarlos, y eso que la formación es magnífica, impartida por gente magnífica, pero estamos cansados de ver siempre lo mismo. La gente joven quiere otra cosa. Hay que hacerlo de otra manera. En concreto, me gusta mucho el modelo de Portugal, donde las universidades están junto con los técnicos. El futuro, desde mi punto de vista, serán centros en los que estén juntos todos los profesionales de la Odontología, todo el equipo de trabajo, clínicos, técnicos e higienistas. No hay otro camino».

base en la Prótesis Dental es que el profesorado que lo imparte en las escuelas no está vinculado a la rama lo que influye en la mala cualificación de los titulados. ¿Cómo va a enseñar un farmacéutico Prótesis? Poder puede hacerlo, pero el error de partida es claro. Y otro muy importante: hoy empezamos la casa por el tejado. Muchas veces los chicos quieren ser CAD Designer. Quieren diseñar. Y yo les pregunto: ¿No has hecho un curso de oclusión? Su

EXCESO DE OFERTA, AVALES Y COMPETENCIAS

El clínico gallego Rafael Piñeiro y dictante habitual de cursos y conferencias ve luces y sombras en el campo de la formación odontológica. «El primer problema para mí es que hay tanta formación que los profesionales no saben cuál elegir. Cuando acaban el Grado necesitan seguir formándose para llegar a un nivel que les permita enfrentarse al día a día. El problema

es que la formación se convirtió en un negocio. Entonces, si queremos tener una formación continua obligatoria tenemos que diferenciar claramente la que es reglada, con unos criterios establecidos, para que los profesionales puedan seguir ejerciendo su profesión, como pasa en otros países. Yo no puedo formar en base a lo que a mí me parezca, tiene que haber criterios, un sistema establecido. Además, hay otro problema y es que el sistema no premia al mejor formado y eso es algo que desde los estamentos gubernamentales, desde la Odontología en conjunto, tendremos que cambiar. Hay que premiar al que está formado y que el usuario final, el paciente, reconozca al que está formado. No podemos dejar que sus referentes sean famosos que enseñan sus bocas en redes sociales con tratamientos y trabajos de una mala calidad. La Odontología es un mundo complejo -incidió Piñeiro- está la clínica, con dentistas e higienistas; está la parte técnica, con los laboratorios; también está la ciencia y, otra parte, la industria. Todos tienen que trabajar en conjunto. La industria sin la ciencia no puede hacer nada», afirmó. Y precisamente, como representante de la industria, Luis Garralda, presidente del Sector Dental de Fenin, «denunció» que, aunque tenemos normas respecto a la formación continuada, no terminan de cuajar. «Existe un marco regulatorio para la formación continuada de las profesiones sanitarias, que incluye a odontólogos, técnicos de laboratorio e higienistas dentales. De este modo, corresponde a las comunidades autónomas acreditar actividades en materia de formación continua de los profesionales sanitarios, pero la realidad es que no se suele solicitar esta acreditación dentro

«Debemos estar muy comprometidos y muy cerca de los clínicos para poder ofrecer lo mejor a los pacientes»

Juan Carlos Megía, Comisión de Formación del Colegio de Protésicos Dentales de Madrid

del sector, algo que sí ocurre en otras especialidades médicas». En este punto Cristina Navarro adviritó que «desde el Colegio de Higienistas madrileño sí se apuesta por la formación continuada acreditada por la Comisión de Formación continuada de las profesiones sanitarias». Siguiendo con su intervención, Garralda destacó otros sistemas de acreditación, como el que se incluye en el Código Ético de Fenin «que sirve para avalar la calidad de los

«El sistema no premia al mejor formado y esto tiene que cambiar. El paciente debe poder reconocer al profesional que ha apostado por su formación»

Dr.

Rafael Piñeiro, director del Estudio Dental

Rafa Piñeiro

congresos y actividades formativas y para evitar los excesos que se produjeron en las relaciones entre la industria y los profesionales médicos hace años». En este sentido, lanzó, a modo de recomendación, que «deberían proliferar más en España las declaraciones de conflictos de intereses entre los dictantes de

un curso o una conferencia, algo más común en otros países, para que el cursillista/congresista sepa a qué atenerse cuando acude a una formación». Por último, sobre la unión de las profesiones dentales, Garralda destacó la necesidad de adaptar las normativas a la realidad actual. «Como industria, y con la generalización del uso de las nuevas tecnologías, no podemos permanecer indiferentes. Queremos vender equipamiento y productos con la tranquilidad de que, efectivamente, esos profesionales pueden utilizarlos. Queremos un entorno tranquilo. Las atribuciones o competencias de las profesiones sanitarias considero que se han quedado totalmente obsoletas -cambio que, por su parte, Megía consideró innecesario al estar bien definidas en la Ley 10/86-. Tendríamos que reunirnos todos los agentes implicados ante la Agencia Española del Medicamento y Productos Sanitarios -prosiguió Garralda-, pero soy consciente de que el consenso en este aspecto no es fácil».

Además, Garralda incidió que «la digitalización también supone un reto para nosotros, para los profesionales que trabajamos en la industria. Nuestro personal tiene que estar bien formado de forma continua para dar el mejor servicio al profesional».

CRITERIOS DE ELECCIÓN

El panorama formativo odontológico está claro que ofrece infinidad de opciones, pero ¿cómo elegir un programa con un mínimo de garantías? «Coincido con Rafael Piñeiro que ayudaría en la decisión tener una formación continua reglada, pero reglada no quiere decir que sea solo para las universidades sino que, de alguna manera, esté regulada y evaluada periódicamente», destacó

Lluís Giner. «Prestigio del profesional y del centro, contenidos del programa formativo, experiencias de antiguos alumnos… pueden ser factores a tener en cuenta, pero tenemos que trabajar y estar implicados todos los que formamos parte de la Odontología -colegios, universidades, profesionales, industria…,- para establecer, de partida, una mínima obligatoriedad que incluya aspectos esenciales como seguridad del paciente, emergencias médicas, pacientes medicamentados, etc. Y otra línea, quizás más opcional, focalizada en todo el entorno que va

creciendo, que es muchísimo y muy dinámico», insistió.

EL PACIENTE ACTUAL

Autoexigencia del profesional, que quiere formarse, pero también para responder a los pacientes, que «son los que deciden dónde ir. La Odontología que se hace en este país es admirable, creo que debemos sentirnos muy orgullosos como profesionales, pero la población no tiene criterio, piensa que la Odontología es cara, al ser eminentemente privada… Tenemos que educar también a la población en este sentido, empezando por la prevención.

MUCHO TRABAJO POR DELANTE, Y SI ES JUNTOS, MEJOR

Todos los participantes en el debate insistieron en que el futuro de la Odontología se presenta apasionante. «Tenemos mucho trabajo por el camino. La población tiene necesidad de tratamientos y debemos llegar a esta patología. Para ello, tiene que haber un compromiso por parte de las instituciones, se debe invertir más y ahí hemos de ser todos, ir de la mano para trabajar y presionar. Hay que apostar por la Odontología preventiva porque, al final, es un beneficio para el paciente y para el país. Es prevención de la salud bucodental, pero también prevención sistémica», destacó el Dr. Giner.

A pesar de que en la mesa también salieron a relucir ciertos miedos sobre el futuro y el papel de la IA, Miguel Arroyo recomendó a sus colegas: «No hay que sentir miedo a lo que llega. El trabajo diario va a ser mucho más atractivo, mucho más automatizable. Además, creo firmemente en el regreso a la personalización. Tenemos que mirar a la raíz, volver a la educación y después incorporarte a lo nuevo para mejorar y darte más valor».

«En España tenemos una Odontología de mucha calidad, mucho más de lo que nos pensamos», insistió Piñeiro. «Hemos hablado en esta jornada también de amenazas y estoy convencido de que para conseguir que nuestra Odontología cada vez sea mejor tenemos que trabajar todos juntos. Es decir, esto no es una cuestión de que «mi colectivo se siente amenazado por el uso o no de una determinada tecnología». No estoy de acuerdo. Tu colectivo puede ser muchísimo más fuerte con todo lo que viene. Colegios, universidad, los diferentes colectivos... tenemos que trabajar juntos, salirnos de nuestras posiciones y poner el foco en lo que realmente es importante. ¿Hay amenazas solo en nuestra profesión? Claramente no, pasa en todas las profesiones y es que el mundo está cambiando».

En esta conexión entre todos los actores del mundo odontológico insistió también Luis Garralda. «Es fundamental la buena relación de los actores de este sector y fomentar las reuniones de trabajo conjuntas porque eso va a ser beneficioso para todos, fundamentalmente, para el paciente».

«La digitalización también supone un reto para los que trabajamos en la industria. Tenemos que estar bien formados para dar el mejor servicio al profesional»
Luis Garralda, presidente del Sector Dental de Fenin

Desde los organismos públicos tienen que tomar conciencia que no hay salud más barata que conseguir salud dental, porque es un cepillo de dientes, una pasta de dientes… inculcar unos hábitos que se deben de transmitir desde la escuela», destacó Marisol Ucha. «No hemos llegado a transmitir a la población que tenemos una Odontología de la cual pueden

sentirse muy orgullosos. Que no se fíen de lo que se ve en redes sociales o lo que anuncia un determinado rostro conocido, que estamos aquí sin herramientas legales que nos amparen. Es importante trabajar estos mensajes desde la infancia, de ahí la importancia de programas como el PADI y más iniciativas que se podrían desarrollar para inculcar, desde la niñez, la importancia de la salud oral y la figura del dentista», concluyó la presidenta del COEM.

«En este terreno, debemos jugar un papel determinante como educadores a nivel poblacional», destacó Cristina Navarro, pero «tenemos que asumir la parte de responsabilidad. Todavía nos queda un camino importante por seguir informando a la población. Afortunadamente, creo que por fin se está poniendo el foco en la prevención y aquí nuestro colectivo tiene mucho que aportar. La figura del higienista dental se debe conocer aún más por parte de la población», apuntó Cristina Navarro.

Sobre el papel tan demandante y exigente del paciente hoy en día, Miguel Arroyo advirtió: «Mucha culpa está en el propio profesional. También la propia escasa formación o la permisividad que se le da al paciente. No puede venir un paciente a decirte lo que tienes que hacer. Y entiendo la preocupación del clínico, quien, como empresario, teme perder a ese paciente. Pero no todo vale. Esto no es un mercado, esto es salud y eso se está perdiendo». A este respecto, recalcó el Dr. Giner: «Nos encontramos los clínicos muchas veces con esa dicotomía entre el principio de beneficencia y el principio de autonomía del paciente. Lo que yo pienso que es mejor para él, para su salud, y, lo que él, como paciente, puede decidir». ●

CURSOS / POSTGRADOS / MÁSTERES

Accede gratis a la guía que batió récords de audiencia en 2023

Una herramienta de consulta clave para odontólogos, higienistas y protésicos.

Impulsa:

El Colegio de Odontólogos y Estomatólogos de la 1 ª Región le ha concedido su Medalla de Oro al Mérito Científico. ¿Qué significa para usted este reconocimiento?

—Recibir un premio siempre es una sensación muy especial. No he recibido muchos, pero genera una sensación de emoción y privilegio. En este caso, además, proviene de mis compañeros de profesión, el Colegio de Dentistas de Madrid. Aunque tengo menos relación con el colegio de la que me gustaría, porque me dedico más a la academia y la ciencia que a la práctica profesional, me hizo mucha ilusión. La presidenta del colegio, la Dra. Marisol Ucha, me llamó personalmente para comunicármelo, y estoy muy agradecido.

DR. DAVID HERRERA

Medalla de Oro al Mérito Científico del COEM

Profesor, catedrático, vicedecano y brillante investigador en el campo odontológico como así lo atestiguan los más prestigiosos rankings internacionales son algunas facetas profesionales del Dr. David Herrera; logros que le han llevado a recibir recientemente la Medalla de Oro al Mérito Científico del Colegio de Dentistas de Madrid. Desde su despacho en su querida Complutense, nos habla con pasión de la Periodoncia, de la relevancia en su carrera del profesor Mariano Sanz, de formación y tecnología y alza la voz para que las autoridades políticas pongan la salud bucodental en el lugar que se merece.

—¿Cómo ha evolucionado el Dr. David Herrera que en 1999 presentaba su tesis, dirigida por el Dr. Mariano Sanz, «Susceptibilidades a antibióticos en la flora subgingival» comparándolo con el Dr. David Herrera actual? —En 1999 culminaba mi periodo formativo. Había terminado la Licenciatura en Odontología en 1994, luego el máster en Periodoncia en 1997, y entre 1995 y 1999 realicé mi tesis doctoral. Mientras cursaba el máster, de septiembre a junio, luego pasaba los veranos en el laboratorio del profesor Van Winkelhoff en Holanda para completar mi formación y preparar la tesis. Siento que sigo siendo el mismo que se doctoró en 1999, aunque han pasado muchas cosas desde entonces. Desde luego, este fue un punto clave en mi desarrollo académico, ya que la

tesis doctoral es fundamental para avanzar en esta carrera. Mirando atrás, mi investigación se centró en las resistencias antibióticas, un tema que hoy es más relevante que nunca. Lamentablemente, la situación ha empeorado con el tiempo. También estudié los abscesos periodontales dentro de este contexto, lo que nos ha dado reconocimiento internacional. Desde nuestro grupo de investigación en la Complutense desarrollamos la clasificación actual de los abscesos periodontales, partiendo de aquellas primeras investigaciones que dieron forma a mi tesis doctoral. Parece que fue ayer.

—Además del Dr. Sanz, ¿qué otras figuras han sido claves en su carrera?

—En el mundo de la Odontología, sin duda, mi mayor referente ha sido el profesor Mariano Sanz. Ha sido mi mentor y director, y hoy sigo teniendo el privilegio de trabajar a su lado y aprender de él cada día.

Mi tío, el Dr. Pedro Herrera García, mi primo, el Dr. Pedro Herrera Pereiro, y el Dr. José Rábago jugaron un papel clave en mi desarrollo profesional y confiaron en mí al poco de graduarme.

En el ámbito académico, quiero destacar a los dos decanos que confiaron en mí para asumir el cargo de vicedecano: el Dr. José Carlos de la Macorra y el Dr. Gonzalo Hernández Vallejo. A lo largo de los años, también he hecho grandes amigos en la Periodoncia Complutense y en las Periodoncias nacional e internacional, demasiados para enumerarlos, pero ellos saben quiénes son.

Y, por supuesto, la persona que más ha influido en mi carrera y en mi vida es la Dra. Silvia Roldán. No solo me acompaña en todo este proceso, sino que es quien me mantiene con los pies en la tierra y me hace reflexionar cuando es necesario. Con ese equilibrio, sigo avanzando. En lo profesional, mi camino ha estado marcado por todos ellos, pero, en lo personal, mis mayores referentes siempre han sido mis padres.

—¿Siempre tuvo claro que quería dedicarse a la Periodoncia?

—Durante la carrera no pensaba en la Periodoncia porque apenas la conocía. Me atraía

Dr. David Herrera. PROTAGONISTAS

«Me enamoré de la Periodoncia en cuarto de carrera y, desde entonces, cada día me reafirmo más en mi elección»

más la Ortodoncia y el desarrollo craneofacial. De hecho, el primer contacto con la Periodoncia fue en cuarto curso, en el segundo semestre, casi al final de la licenciatura. Fue entonces cuando tuve clase por primera vez con el profesor Mariano Sanz y su equipo. Presentaban la ciencia periodontal de una forma completamente distinta al resto de asignaturas, con referencias actualizadas, mucha ciencia básica y un enfoque dinámico. Recuerdo perfectamente aquella primera clase del profesor Sanz. En ese momento supe que eso era lo que quería hacer el resto de mi vida. No volví a dudar. Me enamoré de la Periodoncia y, desde entonces, no solo no he dejado de sentir esa pasión, sino que cada día me reafirmo más en mi elección.

—Ha mencionado anteriormente su primera experiencia en el extranjero. ¿Le atrajo desde el principio formarse a nivel internacional?

—Tuve la suerte de que mi mentor fuera el profesor Mariano Sanz. En quinto curso me fui de Erasmus a Estocolmo, y él, como vicedecano de Relaciones Internacionales, tuvo un papel clave en la decisión. Allí trabajé con el Dr. Jan Bergström, profesor de Periodoncia, lo que supuso mi primer contacto con esta especialidad y donde realicé mi primera investigación, aunque de forma muy sencilla. A partir de ahí, cada verano, mientras cursaba mi formación de posgrado, estuve en distintos laboratorios. Primero en Manchester y luego en Ámsterdam, en el laboratorio del profesor Arie van Winkelhoff. Estas experiencias me permitieron conocer a muchas personas y establecer vínculos

«Los profesionales que se dedican exclusivamente a la investigación son verdaderos héroes»

con distintas sociedades científicas. Desde entonces, he estado muy ligado a asociaciones internacionales como la International Association for Dental Research y la Federación Europea de Periodoncia, además de tener un estrecho contacto con sociedades en Latinoamérica. No fue algo planificado, simplemente fue ocurriendo, y me siento muy orgulloso de haberlo hecho. Hoy en día sigo manteniendo esa vinculación internacional: soy director del Workshop Committee de la Federación Europea de Periodoncia y continúo colaborando con la Federación IberoPanamericana de Periodoncia.

—Codirige junto al Dr. Sanz el grupo de investigación «Etiología y terapéutica de enfermedades periodontales y periimplantarias», uno de los más destacados en Periodoncia a nivel mundial, ¿cuál ha sido la trayectoria y evolución dentro de este equipo?

—Cuando comencé a trabajar con el profesor Mariano Sanz, él ya era un investigador de gran prestigio. En aquel momento, éramos un equipo muy pequeño con actividad limitada. En 2005 decidimos formalizar el grupo para poder acceder a proyectos más ambiciosos y, con el tiempo, ha crecido hasta convertirse en uno de los más reconocidos a nivel europeo y mundial. Mirando atrás, es impresionante ver la evolución. Lo que empezó con pocos recursos se ha convertido en un grupo con líneas de investigación punteras y un alto nivel de actividad. El impacto del profesor Sanz en la Periodoncia y en la investigación odontológica es enorme. Su contribución ha transformado el campo y ha posicionado la Odontología como un área de investigación sólida, algo que antes no era tan evidente. Además, su trayectoria lo

sitúa entre los investigadores más destacados de España en cualquier disciplina.

—Y, ¿cómo se presenta el futuro?

—El futuro del grupo es prometedor. Un buen investigador aspira a que sus discípulos lo superen, aunque en el caso del profesor Sanz eso parece imposible. Aun así, contamos con una base muy fuerte y con investigadores como la doctora Elena Figuero, el doctor Eduardo Montero y el doctor Ignacio Sanz Sánchez, que ya aparecen en rankings internacionales. También hay una nueva generación, con nombres como Ana Molina, Ana Carrillo, Nagore Ambrosio, Nerea Sánchez, Paula Matesanz o Javier Sanz, que están impulsando la investigación. Hoy, con un equipo consolidado y bien estructurado, el futuro solo puede ser aún mejor. Cuando el profesor Sanz y yo comenzamos, todo era más incierto. Ahora, el camino está mucho más claro.

—¿Cree que hay una auténtica vocación por la investigación? La sensación, creo que generalizada, es que está tan poco reconocida...

—Esa pregunta tiene dos vertientes. Por un lado, está la confianza que tienen la sociedad, los políticos y las autoridades sanitarias en la investigación, y la realidad es que creen muy poco en ella. Aunque en sus discursos afirman que es fundamental, la inversión es prácticamente inexistente. De hecho, uno de los grandes desafíos de nuestro grupo, en comparación con otros equipos europeos y mundiales, ha sido la falta de apoyo público. La mayor parte de nuestra financiación proviene de empresas, que han confiado en nosotros tanto para investigaciones relacionadas con productos como para otras líneas de estudio. Pero el respaldo estatal claro nunca ha existido, y esto no solo nos afecta a nosotros, sino a muchos grupos de investigación en España. La realidad es que no hay una apuesta seria por la investigación en este país. Por otro lado, los profesionales que se dedican exclusivamente a la investigación son verdaderos héroes. En Odontología, la mayoría compagina la docencia con la investigación. Y

NUEVA WEB

¡Descubre la única web integral y especializada en equipamiento del sector dental!

Toda la información que necesitas, por fin, en un único lugar. Descubre el catálogo completo de Henry Schein Schmidt, con información detallada y materiales de apoyo para clínica o laboratorio dental.

Tienes TODA la tecnología del sector dental, ¡¡a un solo click!!

https://equipamiento.henryschein.es/

Dr. David Herrera

El Dr. David Herrera dirige junto al Dr. Mariano Sanz -figura clave en su carrera-, el Grupo de Investigación «Etiología y terapéutica de enfermedades periodontales y periimplantarias» de la Facultad de Odontología de la UCM.

aquí surge otra cuestión: ¿hay vocación para ser docente e investigador en la universidad? Los países de nuestro entorno tienen serios problemas para cubrir plazas en este ámbito, y, aunque en España aún no hemos llegado a ese extremo, vamos en esa dirección. La academia no puede competir con otras opciones profesionales, y el inicio de la carrera académica es especialmente duro. Construir un currículum que permita optar a plazas requiere una gran inversión de tiempo y esfuerzo, sin garantía de estabilidad. Además, el sistema está bloqueado. Ahora mismo, todo está paralizado porque las nuevas leyes aún no se han implementado. Se convocan pocas plazas y las universidades públicas no cuentan con recursos. Esto frustra a quienes esperaban desarrollar una carrera académica. Cuando empecé como profesor asociado, tampoco había oportunidades. En la Facultad de Odontología de la Complutense tardaron casi diez años en convocar nuevas plazas de profesor titular.

Es un problema estructural que debe abordarse. La investigación es clave para el desarrollo de un país. Sin inversión en educación e investigación corremos el riesgo de quedarnos

sin docentes universitarios. Muchos jóvenes pueden preferir otras opciones que les ofrezcan mayor estabilidad y calidad de vida en lugar de enfrentarse a un camino tan incierto.

—De todas las líneas de investigación que han desarrollado y siguen desarrollando dentro de la UCM, ¿cuáles considera que han ofrecido o están ofreciendo los resultados más prometedores para la profesión odontológica? —Dentro de las líneas en las que trabajo directamente, las que nos han posicionado como referencia mundial son principalmente tres. La primera está relacionada con los tratamientos coadyuvantes en la periodontitis y su prevención, especialmente a través del uso de antimicrobianos y otros productos. En este ámbito somos un referente, sin duda, a nivel europeo y también a nivel global.

La segunda línea se centra en la etiología de la periodontitis. Un avance clave ha sido el desarrollo, junto con la empresa Dentaid, de un modelo de boca artificial con biofilm, que nos ha permitido estudiar la interacción entre bacterias, su estructura y el impacto de distintos tratamientos. También hemos analizado cómo se forma un biofilm sobre la

superficie de un diente o un implante, lo que ha abierto nuevas perspectivas en la investigación. Y la tercera línea de trabajo es la relación entre las enfermedades periodontales y las enfermedades sistémicas. Desde el punto de vista de la salud pública, esta investigación es crucial y todavía queda mucho por explorar. Además de estas tres, el profesor Sanz lidera otras líneas de gran interés, como la ingeniería de tejidos y la regeneración mediante células madre. Su trabajo en este campo es reconocido internacionalmente y está desarrollando proyectos muy prometedores, aunque no participo directamente en ellos.

—¿Qué aporta la colaboración entre países a la investigación?

—Es fundamental, ya que los estudios unicéntricos suelen ser demasiado pequeños para ofrecer conclusiones sólidas. Para llevar a cabo investigaciones a gran escala que aporten resultados robustos, es imprescindible trabajar con equipos de otros países.

Gracias a la proyección internacional del profesor Mariano Sanz y a mi experiencia en el extranjero, contamos con una red de conexiones que nos permite desarrollar estudios multicéntricos con regularidad. Un ejemplo reciente es un estudio sobre la prevalencia de la hipersensibilidad dentinaria. En Madrid reclutamos 400 pacientes, que pueden parecer muchos, pero al sumarlos con los datos de investigadores en Reino Unido, Alemania, Italia, Suiza, Irlanda y Portugal, el estudio alcanzó una muestra de 5.000 pacientes, lo que permite obtener conclusiones mucho más sólidas. Los estudios multicéntricos no son fáciles de coordinar, pero son esenciales para el avance de la ciencia.

—Lleva muchos años vinculado a la Sociedad Española de Periodoncia y Osteointegración, de la que es actualmente patrono. ¿Qué importancia tiene esta organización en la trayectoria del Dr. Herrera?

—SEPA ha sido fundamental en mi trayectoria. De hecho, mis primeras grandes responsabilidades llegaron dentro de la Sociedad Española de Periodoncia. Fui

«La Odontología sigue sin ser una prioridad en la política sanitaria española, pero esto tiene que cambiar»

presidente entre 2013 y 2016, pero antes había sido vicepresidente durante tres años y secretario otros tres, lo que me permitió desempeñar un papel activo en la organización durante casi una década. Trabajé junto a profesionales como el Dr. Juan Blanco y la Dra. Nuria Vallcorba, de quienes aprendí muchísimo antes de asumir la presidencia.

Cuando llegué a ese cargo, uno de los principales objetivos de nuestra junta fue «democratizar» la Periodoncia. Nuestro lema era «Periodoncia para todos», porque no solo es relevante para los periodoncistas, sino también para los dentistas generales, higienistas, cardiólogos, endocrinos e, incluso, para los propios pacientes. Queríamos abrir la especialidad y dejar atrás los congresos más reducidos y elitistas, apostando por eventos más accesibles y dirigidos especialmente al dentista general.

En ese periodo, impulsamos la Alianza para la Salud, colaborando estrechamente con sociedades científicas como la Sociedad Española de Cardiología y la Sociedad Española de Diabetes. Sabíamos que la salud periodontal tenía un impacto directo en la salud cardiovascular y endocrina, por lo que era necesario trasladar ese conocimiento a la práctica clínica y cambiar la forma en la que se atiende a los pacientes. Uno de los proyectos clave fue el estudio DiabetRisk, para evaluar protocolos de detección de diabetes no diagnosticada previamente. Este estudio, desarrollado en colaboración con la Sociedad Española de Diabetes y la Universidad Complutense, comenzó en aquella época y se llevó a cabo a través de las Redes Clínicas de Investigación de SEPA.

SEPA ha sido una parte muy importante de mi vida. Actualmente sigo vinculado como

patrono, aunque desde un papel más distante. La Sociedad tiene ahora sus propios líderes, pero mantiene el espíritu que impulsamos en 2013: hacer que la Periodoncia sea accesible para todos y seguir explorando la relación entre enfermedades periodontales y sistémicas. La organización ha crecido, los congresos son aún más grandes y el enfoque en la salud general sigue siendo una prioridad, a través de la iniciativa Promosalud.

—¿Cala el mensaje entre la población médica y la población sobre la relación entre salud oral y salud general?

—En España, una de las principales barreras para que este mensaje cale es que la Odontología sigue estando fuera del sistema sanitario público. Esto genera la percepción de que la salud bucodental es algo secundario, cuando en realidad es una parte fundamental de la salud general. La exclusión de la Odontología del Sistema Nacional de Salud no tiene justificación científica, responde a otras razones.

Aunque muchos médicos, como endocrinos, cardiólogos y médicos de familia que colaboran con nosotros, entienden la importancia de la

salud bucodental, el problema es que, dentro del sistema público, si un paciente necesita atención odontológica, debe acudir al sector privado. Esta transición del ámbito público al privado es siempre complicada. Lo que realmente debe cambiar es la visión de las autoridades sanitarias sobre la Odontología. España ha firmado un compromiso con la Organización Mundial de la Salud para que, en 2030, la Odontología forme parte de la Atención Primaria sin coste para el paciente, lo que supondría un cambio significativo.

Si esto se implementa, todo el conocimiento que hemos generado podrá trasladarse más rápidamente a la práctica clínica. Cuando fui presidente de SEPA, me reuní con consejeros de salud y les expliqué que tratar la periodontitis en pacientes con diabetes podría reducir los costes sanitarios en un 30-40%. No se trata de un gasto, sino de una inversión en salud y calidad de vida. La evidencia es tan clara que, tarde o temprano, las autoridades sanitarias deberán reaccionar. Sin embargo, la sensación es que la Odontología sigue sin ser una prioridad en la política sanitaria española.

Algunas comunidades autónomas, como Andalucía, han estado cerca de integrar la Odontología en su sistema de salud. Es un cambio que acabará ocurriendo, porque no se puede seguir manteniendo esta separación sin una justificación sólida. En el ámbito médico, tanto en España como en Europa, los profesionales ya han asumido la importancia de la salud bucodental. Lo mismo ocurre con los pacientes, especialmente aquellos con enfermedades sistémicas como la diabetes, que comprenden el impacto que tiene en su salud general.

En otros países, este proceso ya está en marcha. En Inglaterra, por ejemplo, cuando se diagnostica a un paciente con diabetes, automáticamente se le deriva al dentista como parte de su plan de tratamiento. En la República Dominicana, la ministra de Sanidad ha presentado un documento sobre el manejo de la salud bucodental en pacientes diabéticos. Es un cambio imparable. En España avanza más despacio, en parte por la misma razón por

El Dr. David Herrera junto al Dr. Gonzalo Hernández, decano de la Facultad de Odontología de la Universidad Complutense de Madrid.

la que no existen especialidades oficiales en Odontología dentro del sistema sanitario, pero, tarde o temprano, sucederá.

—SEPA ha sido clave en su carrera, pero también la UCM, donde es usted docente y vicedecano de Clínicas Odontológicas. —La Complutense ha marcado mi trayectoria. Me siento completamente Complutense. He estudiado aquí, he desarrollado toda mi carrera en esta gran universidad, que tiene aspectos muy positivos, pero también enfrenta desafíos. Su tamaño la hace difícil de gestionar y presenta ciertas limitaciones, aunque creo que su potencial es enorme y aún hay margen para seguir creciendo. La Facultad de Odontología es la mejor posicionada dentro de la UCM y la mejor valorada en rankings, no solo en Odontología, sino en cualquier disciplina dentro de la universidad. No hay otra facultad o escuela universitaria en España que haya mantenido una posición tan alta durante tanto tiempo.

Nos sentimos muy orgullosos de lo que hemos logrado, pero también somos conscientes de los retos que quedan por delante. En definitiva, la Complutense ya forma parte de mí. Es algo que se ha metido en mis genes (mi hermana Blanca es también profesora en la Facultad de Farmacia) y que seguirá acompañándome siempre.

—Menciona retos. ¿Cuáles crees que son los principales desafíos a los que se enfrenta la formación universitaria en España?

—La formación en Odontología está en un momento de cambio necesario. No solo por las nuevas leyes y regulaciones europeas, que exigen la adaptación de los planes de estudio, sino porque la propia evolución de la disciplina lo requiere. Es evidente que la Odontología de 2035 no será la misma que la de 2010, por lo que debemos reformular la enseñanza para adaptarnos a la realidad futura. Si queremos que los nuevos planes estén operativos en 2035, el cambio debe empezar ahora.

Hay dos factores clave que justifican esta transformación. En primer lugar, el conocimiento en biología y microbiología está evolucionando

«Es evidente que la Odontología de 2035 no será la misma que la de 2010. Debemos reformular la enseñanza»

con las nuevas técnicas ómicas, lo que obliga a reorganizar contenidos y dar más peso a ciertas áreas. En segundo lugar, los procesos diagnósticos se verán profundamente alterados con la integración de inteligencia artificial, lo que exige una remodelación en la forma de enseñar y aplicar el diagnóstico clínico.

En el ámbito del posgrado, los desafíos son distintos. En el posgrado profesionalizante, el principal reto es el reconocimiento de las especialidades en Odontología, una cuestión pendiente en España desde hace años. Es una exigencia legal que el Gobierno debe abordar y, además, es una cuestión de dignidad profesional.

Por otro lado, en los posgrados orientados a la investigación, el gran reto es hacer más atractiva la carrera académica. Esto no es solo un problema de la Odontología, sino un desafío a nivel nacional. Si no ofrecemos oportunidades competitivas, perderemos talento, los investigadores se irán a otros países y nos quedaremos sin docentes.

—De todas sus facetas profesionales investigador, docente, vicedecano, profesor..., ¿con cuál se quedaría?

—En realidad, todas son caras de un mismo dado, y no se pueden separar ni potenciar unas sin las otras. En una universidad pública, el rol es el de personal docente e investigador, por lo que la docencia y la investigación van de la mano.

Ser un buen investigador permite aportar más valor en la docencia, compartir conocimientos en congresos y contribuir al avance de la disciplina.

La investigación puede parecer apasionante,

pero como decía mi primer jefe en Holanda, «es 1% inspiración y 99% transpiración». La mayor parte del tiempo implica trabajo arduo y solo en momentos puntuales se experimenta la satisfacción de un logro. En la docencia, la interacción con los estudiantes es enriquecedora y te mantiene activo, pero también hay desafíos, como la evaluación y el hecho de que no todos los estudiantes lo ponen fácil.

La labor de vicedecano es una responsabilidad que contribuye a la gestión de la facultad. Quien se siente Complutense, como en mi caso, acaba comprometiéndose con esta tarea.

—Más allá de los conocimientos, ¿qué les intenta transmitir a sus alumnos en las aulas?

—La importancia de aspirar a la excelencia, no en el sentido de querer ser una élite, sino en el de hacer las cosas bien, en esforzarse un poco más. Ese esfuerzo adicional, esos cinco minutos más de dedicación, marcan la diferencia y generan satisfacción, lo que, a su vez, hace que puedas disfrutar más de tu trabajo.

Busco que los estudiantes se enamoren de lo que hacen, que trabajen con pasión y no de una manera mecánica o burocrática. Me gusta que las cosas no solo estén bien, sino muy bien, que nadie pueda cuestionar la calidad de una tarea o un trabajo. No se trata de alcanzar la perfección, soy consciente de que es imposible, pero sí de acercarse lo máximo posible a la excelencia. ●

TECNOLOGÍA: PRECISIÓN, PERSONALIZACIÓN Y ACCESIBILIDAD

¿Cómo cree que impactan innovaciones como la IA en la práctica clínica odontológica?, le preguntamos al Dr. David Herrera. Y, aunque consciente de sus claros beneficios también alerta sobre sus peligros. «La Odontología siempre ha evolucionado con los avances tecnológicos, y la inteligencia artificial no es una excepción. Su impacto no solo radica en la capacidad de procesar grandes volúmenes de datos y aprender de ellos, sino también en la calidad de la información que se introduce en estos sistemas. Actualmente, la inteligencia artificial en Odontología se centra principalmente en el análisis de imágenes, pero en el futuro inmediato combinará otras herramientas como el análisis de muestras de saliva, cuestionarios y fotografías. Esto permitirá diagnósticos más precisos y, con el tiempo, tratamientos más personalizados. Aunque aún no se ha implementado a gran escala, el cambio es inminente y transformará por completo la forma en que se diagnostican y tratan las enfermedades.

Esta evolución conlleva tanto oportunidades como desafíos. Por un lado, el desarrollo de una Odontología más personalizada es una gran noticia. Sin embargo, también plantea preocupaciones sobre su accesibilidad. Mientras que los sistemas de diagnóstico pueden integrarse de manera más universal, los tratamientos personalizados podrían no estar al alcance de todos. La Medicina ya nos ofrece un ejemplo de ello, con terapias avanzadas y selectivas que tienen un alto coste y no siempre son accesibles para toda la población. Aunque es preocupante que España aún no cuente con especialidades oficiales en Odontología, que la profesión siga fuera del Sistema Nacional de Salud o que no exista formación continuada obligatoria, también es fundamental reflexionar sobre cómo estos avances tecnológicos afectarán a la equidad en el acceso a la atención odontológica. La inteligencia artificial traerá un cambio inevitable y profundo, pero su impacto dependerá de cómo se regule y de qué medidas se tomen para garantizar que beneficie a toda la sociedad».

Soluciones avanzadas en tus manos

A la última

Clínica Durán & Burgos

Exquisitez en el trato y tecnología a la última. Ésas serían las fórmulas clave de la clínica Durán & Burgos, un proyecto odontológico nacido hace un par de décadas y que en noviembre dio un salto considerable al inaugurar su moderno centro en la localidad barcelonesa de Sitges, un enclave que les brinda acceso a un público sensible a la nueva oferta estética complementaria que han incorporado este año.

La historia de la Clínica Durán & Burgos halla su origen en la Universitat Internacional de Catalunya. Ahí estudiaron y ahí se conocieron los Dres.

Gonzalo Durán y Mar Burgos, quienes pilotan este puntero centro odontológico que destila luz natural por todas partes gracias a la privilegiada distribución y situación del mismo. «Me siento mejor en el trabajo que en casa», confiesa con buen humor y una sonrisa propia de una especialista la Dra. Mar Burgos, quien advierte que alimentó su inquietud por esa disciplina ya en su infancia. Mientras sus amigas soñaban con ser artistas o modelos de alta costura, ella sentía admiración por la figura del dentista a quien visitaba de niña y, desde un primer momento, se propuso ser capaz de dominar todo

ese instrumental y mejorar la salud dental de las personas.

Por aquel entonces todavía no sospechaba que su vida, tanto personal como profesional, acabaría discurriendo en paralelo a la del Dr. Gonzalo Durán. Hijo de galeno, su propósito residía en emular a su padre y convertirse en cirujano. Pero fue su progenitor quien le aconsejó («sabiamente», asegura) que orientara su trayectoria profesional hacia la Odontología. Escuchar esa recomendación propició que coincidiera en la Facultad con la Dra. Burgos, Premio Extraordinario de Carrera, y también con el Dr. Francesc Abella, segundo de esa misma promoción en la que el Dr. Gonzalo Durán completó un podio que ahora opera en la misma clínica suburense.

Tras unos inicios profesionales en Barcelona, en junio de 2005, el

Los Dres. Mar Burgos y Gonzalo Durán son los coordinadores médicos de la Clínica Durán & Burgos. Gaceta
Clínica Durán & Burgos. A LA ÚLTIMA
«La tecnología que utilizamos es de última generación, lo mejor que existe en el mercado, para proporcionar a los pacientes el mejor de los cuidados»

matrimonio formado por los Dres. Durán & Burgos abrió su primer centro en el corazón de Sitges. «Apenas disponíamos de sesenta metros cuadrados, pero teníamos una enorme ilusión», recuerda el Dr. Durán, quien detalla que «contamos con la inestimable ayuda de nuestras familias, ya que mi suegro trabajaba en la construcción y, por otra parte, mi padre nos derivaba algunos de sus

pacientes para que resolviéramos sus problemas bucodentales».

Dos años más tarde, la pareja decidiría mudarse a una clínica de 140 metros cuadrados, también en el centro de esa emblemática localidad costera barcelonesa. «De algún modo, contribuimos a cambiar los hábitos de muchos sitgetanos, que solían tener la costumbre de trasladarse a la capital para recibir atención dental», comentan con cierto orgullo y tras aludir a «los comentarios de boca en boca» (nunca mejor dicho) como mejor herramienta para la captación de pacientes. Su fichero supera los 11.000 expedientes, lo cual resulta elocuente de la confianza cosechada por ambos doctores, quienes llegarían a abrir sendos centros en las localidades del Vendrell i de Vilanova i la Geltrú y que, finalmente, en aras de poder prestar una óptima atención al paciente, decidieron clausurar para centrar su dedicación a la clínica de Sitges.

Fue en noviembre de 2024 cuando abrieron su consulta, «que todavía no hemos inaugurado oficialmente», admiten, contemplando la posibilidad de celebrar ese acto el próximo mes de junio, coincidiendo con el vigésimo aniversario de la Clínica Durán & Burgos. La superficie de las instalaciones ha aumentado hasta los 340 metros cuadrados, pasando de los cuatro sillones de atención dental que disponían en su anterior centro a la media docena en la actualidad, «si bien podríamos ampliar hasta los nueve, aunque sería a costa de sacrificar algunos espacios», como la sala de formación, donde periódicamente realizan algunas sesiones privadas para profundizar en las técnicas odontológicas. «Presto, asimismo, asesoramiento periódico como

Tras unos inicios profesionales en Barcelona, en junio de 2005, el matrimonio formado por los Dres. Durán & Burgos abrió su primer centro en el corazón de Sitges.

SEAMOS CLAROS,

¿HACEMOS LA MEJOR PRÓTESIS DEL MUNDO? SEGURO QUE NO

¿TENEMOS EL PRECIO MÁS BARATO DEL SECTOR? SABEMOS QUE NO

Lo que SÍ sabemos con absoluta rotundidad es que:

El número de Clientes que nos eligen como su proveedor crece mes a mes

El número de Clientes que se mantienen a nuestro lado no deja de aumentar

El número de Clientes satisfechos con nuestro servicio es cada día mayor

Y nos decimos…. POR ALGO SERÁ

Sabemos que nuestro sistema funciona y es bueno para nuestros Clientes, por eso no trabajamos para mantenerlo. si no... PARA MEJORARLO CADA DÍA.

opinion leader a Dentsply Sirona, pues a ellos les interesa escuchar a profesionales que estamos en contacto directo con los pacientes a diario y que observamos cuáles son las necesidades específicas a cubrir». A la hora de estrenar su nuevo centro, las dificultades con las que se enfrentaron «fueron las típicas de cualquier ciudadano: la burocracia. Las normativas cada vez resultan más restrictivas, revelándose poco razonables en determinadas exigencias». En cambio, señalan la buena predisposición mostrada por las entidades financieras, «quienes nos brindaron su apoyo. Entendemos que la confianza que generamos por nuestra solvencia contrastada obró a nuestro favor», afirma el Dr. Gonzalo Durán, quien no duda en señalar que «una de las claves diferenciales de nuestra clínica reside en la tecnología».

PASIÓN POR LA TECNOLOGÍA

Y es que, tal y como explica el Dr. Durán, «desde hace una decena de

años que apostamos por disponer de la tecnología de vanguardia. Eso nos permite recortar los procesos. Si antes conseguir una corona requería un plazo de mes y medio, ahora podemos resolver esa necesidad en 48 horas, redundando todo ello en el servicio que prestamos al paciente, que constituye nuestra razón de ser». Todo ello es posible, también, «gracias a nuestra comunicación con el laboratorio a través de la «nube», lo cual nos permite salvar intermediarios y ganar mucho tiempo».

Un paseo por las instalaciones de la clínica nos permite constatar ese sofisticado equipamiento, así como también la luz natural que inunda el centro y que contribuye decisivamente al ambiente relajado y deseable para el paciente que deposita su confianza en los facultativos de Durán & Burgos. Un equipo de 18 profesionales se encarga de que la experiencia de la visita resulte agradable desde que se cruza el umbral de la puerta.

FORMACIÓN Y NETWORKING, CLAVES PARA EL PROFESIONAL

Si el Dr. Gonzalo Durán exhibe una gran inquietud por la formación continuada y por conocer las últimas tendencias en torno a la Odontología, también muestra una gran inclinación a la colaboración con otros profesionales, consciente de que el networking constituye la mejor fuente de conocimiento para estar al día de las innovaciones en el terreno profesional. Eso le ha llevado a formar parte de múltiples asociaciones entre las que se encuentran la Sociedad Española de Prótesis Estomatológica y Estética (SEPES), la Sociedad Española de Periodoncia y Osteointegración (SEPA) y la Sociedad Española de Cirugía Bucal (SECIB), además de haber colaborado con la Sociedad Española de Odontología Digital y Nuevas Tecnologías (SOCE). No queda ahí la cosa, pues los doctores mantienen una estrecha colaboración con el ITI Study Club, una entidad que preside y lidera Albert Barroso, doctor en Odontología y cirujano oral y maxilofacial, y que cada trimestre impulsa una convocatoria en la que reúne a docena y media de profesionales para compartir conocimiento.

Amplitud de espacios y última tecnología se combinan en las renovadas instalaciones de Durán & Burgos para contirbuir a una mejor experiencia de paciente.

Tanto el Dr. Gonzalo Durán como la Dra. Mar Burgos desechan la idea de apuesta de futuro de su centro. «Es una apuesta de presente, ya que la tecnología que utilizamos es de última generación, lo mejor que existe en el mercado, para proporcionar a los pacientes el mejor de los cuidados». Tanto es así que la Inteligencia Artificial ya forma parte de su ecosistema, «pues hemos participado en un programa para nutrir de información con nuestros tomógrafos y nuestros escáneres digitales, lo cual ayudará en la detección de determinadas patologías. La Inteligencia Artificial aportará múltiples contribuciones a la Odontología, especialmente ayudando en el diagnóstico». Esa inquietud por la tecnología y las nuevas tendencias, alimentada por la formación periódica que les abre la perspectiva respecto a las posibilidades existentes en el entorno odontológico, ha propiciado que su centro haya adquirido la condición de clínica digital. «Solo un 30% de centros en España reúnen los requisitos para ello», manifiesta

el Dr. Durán, quien también subraya la importancia de haber incorporado a la clínica los servicios de Medicina Estética, con un especialista plástico y otro oftalmológico «para actuar exclusivamente en el rostro, lo cual nos permite complementar los resultados obtenidos en la boca».

Entre las herramientas que emplean destaca el escáner intraoral, la impresora 3D, el microscopio, el láser Er-Cr o Modjaw (articulador virtual). Gracias a esta tecnología, en Clínica Durán & Burgos pueden ofrecer tratamientos como microcarillas, ortodoncia invisible, implantes dentales y blanqueamiento dental, asegurando resultados óptimos y una experiencia más confortable para el paciente.

EL PACIENTE, EL CENTRO DE TODO

«Conseguimos cambiar vidas -interviene la Dra. Mar Burgos-. Rehabilitamos a personas que vivían traumatizadas a causa de un problema dental y a quienes les devolvemos la confianza en sí mismas». Es el caso de Esteban, uno

Clínica Durán & Burgos. A LA ÚLTIMA

de sus pacientes, que años atrás se hallaba sumido en un auténtico calvario con su boca. Tras haber visitado múltiples consultas, el aterrizaje en la Clínica Durán & Burgos significó un antes y un después en su camino. Él mismo accedió a dejar su emocionante testimonio, reconociendo que, «cuando no te sientes bien contigo mismo, pierdes seguridad y llegas a desconfiar de todo el mundo». El Dr. Gonzalo Durán reconoce que historias como la de Esteban son más satisfactorias que todo el oro del mundo.

Tanto la Dra. Burgos como el Dr. Durán tienen todavía presente la etapa de la pandemia. Recuerdan haber «cerrado la clínica durante dos meses a causa del COVID-19 y atendíamos las urgencias telefónicamente». Aun así, pese a las adversas circunstancias, «ese año conseguimos crecer un 2%. A pesar de haber trabajado menos, facturamos más». Manifiestan que ese resultado es fruto de que, «una vez superado

el confinamiento, la gente mostró un interés como nunca en realizarse tratamientos. Lo que no habían podido gastarse en otras cosas a causa del coronavirus lo acabaron destinando en salud dental…».

La buena labor desarrollada probablemente es la responsable de que Durán & Burgos no se nutra de manera exclusiva de pacientes locales. Son muchos los pacientes extranjeros que acuden a la clínica de Sitges para la práctica de determinadas intervenciones complejas pero, también, «para las revisiones periódicas, aprovechando las estancias vacacionales» derivadas de la singularidad de la localidad suburense, polo de atracción de mucho turismo. «Tenemos pacientes suizos, italianos, franceses, norteamericanos, luxemburgueses, ingleses…», revela el Dr. Gonzalo Durán, quien, como la Dra. Burgos, confiesa que «trabajar supone un hobby. Nos pasan las horas en la clínica sin que nos demos cuenta».

La inquietud por la tecnología y las nuevas tendencias, alimentada por la formación periódica que les abre la perspectiva respecto a las posibilidades existentes en el entorno odontológico, ha propiciado que su centro haya adquirido la condición de clínica digital.

SIN OLVIDARSE DE LA SOSTENIBILIDAD Y LA COMUNICACIÓN

«La Odontología como profesión debe incorporar los objetivos de desarrollo sostenible en la práctica diaria, así como a apoyar el cambio hacia una economía verde en pos del bienestar y una vida saludable para todos, en todas las etapas de la vida». Atendiendo a este mensaje de la Federación Dental Internacional (FDI), los doctores Durán & Burgos han elegido en su consulta un «sistema de ventilación con recuperadores entálpicos con un rendimiento del 84% , además de los aparatos de climatización de alto rendimiento. En cada departamento hay una máquina independiente para facilitar el ahorro energético y ser más conservadores con el medio ambiente, aunque la inversión inicial sea más alta», destacan.

Por otra parte, «como implementación al flujo digital , incluso antes de trasladarnos a este nuevo espacio, indicamos a los laboratorios con los que trabajamos que no imprimieran los modelos de resina impresa cuando no fuera necesario, además de no usar siliconas o alginatos y que potenciaran el ahorro de envíos mediante transporte logístico, no solo por costes sino por el beneficio para nuestro medio ambiente», apuntan los doctores.

La comunicación es otro de los aspectos cuidados por Clínica Durán & Burgos. Disponen de una completa web y perfiles en Instagram y Facebook, «cuya gestión recientemente hemos externalizado ofreciendo información para el paciente, para que éste conozca más qué es la Odontología Digital, los tipos de tratamiento que ofrecemos y la aparatología con la que contamos para mejorar su experiencia».

Aunque la consulta no goza de la ubicación en el centro de la población, eso no les ha restado pacientes. «En esta zona resulta más fácil aparcar. Al mismo tiempo, es un área en expansión», lo cual puede comprobarse con la intensa actividad constructora que se observa en las inmediaciones del centro.

Padres de tres hijas, la primogénita, Lucía, con sus diecisiete años, sopesa la opción de seguir los pasos de sus padres. Ambos se sienten orgullosos de haber transmitido ese apego por la profesión a la mayor, así como también el interés por la Odontología que no esconden Mar y Paula, las más jóvenes de la familia, quienes repasan las publicaciones especializadas como Gaceta Dental

y preguntan a sus progenitores por determinadas técnicas. «Mar en alguna ocasión ha mostrado intención por esta carrera, pero el alma de Paula es más de artista…», concluyen. ●

DURÁN & BURGOS

¿Dónde está?

Carrer Ramon de Dalmases, 26. Sitges.

¿Quieres saber más?

Clínica Durán & Burgos.

Freepik/DC_Studio.

30 años de evolución profesional a través de la IDS

Hace más de 30 años di mis primeros pasos en una profesión que definiría mi vida. Me convertí en odontólogo y, poco después, me sumergí de lleno en la Implantología, un campo que, en aquel entonces, era territorio inexplorado para muchos, pero que pronto se convirtió en parte de mi ADN. Durante estos años, he vivido una transformación profunda en mi forma de trabajar, pasando de un mundo completamente analógico a la incorporación de herramientas digitales que hoy son esenciales.

Tendencias

En este artículo relataré mi experiencia personal a lo largo de estas tres décadas, destacando hitos, cambios en la industria dental y, sobre todo, cómo la digitalización me ha permitido anticipar, crear y transformar mi práctica, y cómo la feria dental de Colonia IDS (International Dental Show) me ha acompañado en este proceso como estímulo y motor de cambio a través de la presentación de novedades y generadora de entusiasmo y de motivación.

UN RECORRIDO HISTÓRICO: DE LO ANALÓGICO A LO DIGITAL

-Los inicios en un mundo analógico

Recuerdo claramente aquellos primeros años en la práctica clínica: cada tarea era manual, cada solución se elaboraba a mano y cada problema requería una improvisación inmediata. Trabajaba incansablemente, día tras día, en un entorno donde la tecnología digital aún no existía, sintiéndome, a menudo,

«Con la incorporación de escáneres intraorales, imágenes en 3D y software de simulación, hoy es posible analizar con detalle la anatomía dental de los pacientes y planificar tratamientos complejos de forma precisa y personalizada»

un paso detrás de las necesidades reales del paciente. A pesar de las dificultades, la pasión por la Odontología y la Implantología me impulsaba a seguir adelante, a buscar la forma de mejorar y evolucionar.

-El anhelo de transformación

Desde el principio, sentí la necesidad de algo más que la mera reacción ante los desafíos diarios. Anhelaba anticiparme, innovar y transformar mi forma de trabajar. Ese deseo de cambio se hizo palpable cuando, un día, decidí dar un salto de fe que cambiaría mi carrera para siempre: adquirí mi primer escáner intraoral. Era rudimentario, pesado y lejos de ser perfecto, pero, por primera vez, pude ver mi trabajo desplegarse en una pantalla en tiempo real.

-La revolución del CAD/CAM y la impresión 3D

Ese primer contacto con la tecnología digital fue solo el inicio. Con la llegada del nuevo milenio, se produjo otra revolución en la Odontología: la integración de sistemas CAD/ CAM y la tecnología de impresión 3D. Estos avances me permitieron diseñar y fabricar restauraciones,

DR. GIULIANO FRAGOLA

Director médico de Estudio Dental Majadahonda. Licenciado en Odontología, Universidad Complutense de Madrid. Máster en implantología, Periodoncia y Rehabilitación Oral, New York University. Senior fellow y speaker ITI (International Team for Implantology). Anthogyr international speaker.

CEO IDE Immersive Dental Experiences. Director de la International Dental Education Academy (IDEA).

«Cada innovación ha contribuido a construir una práctica más eficiente, segura y humana»

diagnóstico. En diversas ediciones de la IDS he sido testigo de cómo estas aplicaciones revolucionan la práctica clínica.

-Transformación en la gestión clínica

prótesis y modelos anatómicos con una precisión milimétrica, algo que en el pasado parecía propio de la ciencia ficción. La IDS se convirtió en el escenario ideal para conocer estas innovaciones, donde cada dispositivo y software representaba un paso hacia el futuro.

LA DIGITALIZACIÓN COMO MOTOR DE LA TRANSFORMACIÓN DENTAL

-Diagnóstico y planificación

digital

Con la incorporación de escáneres intraorales, imágenes en 3D y software de simulación, hoy es posible analizar con detalle la anatomía dental de los pacientes y planificar tratamientos complejos de forma precisa y personalizada. Esta capacidad de visualizar en tres dimensiones las estructuras óseas y dentales ha permitido detectar patologías de manera temprana y diseñar planes de tratamiento que optimizan tanto la estética como la funcionalidad.

-El impacto de la inteligencia artificial

Más recientemente, la integración de la inteligencia artificial en el análisis de radiografías y estudios diagnósticos ha supuesto otro salto tecnológico. Los sistemas basados en IA detectan patrones y anomalías casi de forma instantánea, acelerando y afinando el proceso

No solo ha cambiado la forma de diagnosticar y tratar, sino también la gestión administrativa de las clínicas. La digitalización ha facilitado la administración de agendas, el manejo de historiales y la comunicación con los pacientes a través de plataformas en línea. La teleodontología ha permitido mantener un contacto continuo y de calidad.

HITOS Y ANÉCDOTAS: 30 AÑOS DE EXPERIENCIAS Y APRENDIZAJES

-El primer encuentro con la digitalización

Hace ya tres décadas, cuando asistí a una de las primeras ediciones de la IDS a finales de los años 90, se presentó ante mis ojos la posibilidad de ver la boca de un paciente digitalizada en una pantalla. Esa experiencia, casi mágica, me convenció de que el futuro de la Odontología estaría marcado por la tecnología.

-Evolución del material dental y de las técnicas

A lo largo de mi carrera, he visto cómo los materiales dentales han evolucionado de manera asombrosa. En los primeros años, las restauraciones y prótesis se elaboraban con materiales que hoy consideraríamos rudimentarios. Con el tiempo, la biocompatibilidad, durabilidad y estética de estos materiales han mejorado gracias a la tecnología digital y a nuevos compuestos.

-Innovaciones que desafiaron lo imposible

La integración de herramientas como la realidad virtual en la formación y

Con INTELIGENCIA ARTIFICIAL

Nuevo

simulación de procedimientos, junto con la aparición de sistemas de planificación digital, han desafiado los límites de lo posible. Recuerdo con entusiasmo talleres y demostraciones en la IDS donde se podía «vivir» el futuro de la Odontología de manera interactiva. Cada innovación no solo mejoraba mi práctica, sino que también reavivaba la pasión por la profesión.

-Colaboraciones internacionales y crecimiento personal A lo largo de estos 30 años, las oportunidades de colaborar con colegas de todo el mundo han sido invaluables. Las conversaciones informales en los pasillos de la IDS se han traducido en proyectos conjuntos, investigaciones clínicas y alianzas estratégicas que han impulsado mi carrera.

LA IDS HOY Y EL FUTURO DE LA

ODONTOLOGÍA

-La IDS como plataforma de innovación y transformación Cada edición de la IDS reafirma su papel como motor de cambio en la Odontología. La próxima edición promete seguir siendo el epicentro de la digitalización dental, presentando desde avances en escáneres intraorales y software de planificación hasta innovaciones en inteligencia artificial y creación de pacientes virtuales para llevar a cabo simulaciones de tratamientos que podamos mostrar a nuestros pacientes de un modo no invasivo, convirtiéndoles no en espectadores sino en «validadores visuales» de su propio tratamiento. Para mí, la IDS ha sido una ventana al futuro, un lugar donde la historia personal y profesional se funde con la visión de un mañana más eficiente y humano.

-Mi ecosistema digital: una extensión de mi pasión

Hoy he construido mi propio ecosistema digital, un conjunto de herramientas y soluciones que se integran de forma natural en mi práctica. Este ecosistema no es solo una colección de dispositivos; es la manifestación de mi compromiso con la excelencia y la innovación. Cada inversión en tecnología ha sido, y sigue siendo, una apuesta por ofrecer una atención más precisa, personalizada e impactante.

-Mirando hacia el futuro: invitación a la transformación

He recorrido un largo camino, y cada paso ha sido un aprendizaje que me ha permitido anticipar el futuro de la O dontología. Hoy invito a mis compañeros a dar ese salto de fe, a abrazar la digitalización y a construir su propio ecosistema digital. La revolución digital en Odontología está aquí, y cada herramienta es una oportunidad para mejorar la experiencia del paciente y transformar vidas.

«30 años de evolución profesional a través de la IDS» no es solo un recuento de cambios tecnológicos, es el testimonio personal de una transformación profunda en la práctica dental. Desde los inicios en un mundo completamente analógico hasta la adopción de soluciones digitales que hoy permiten diagnósticos y tratamientos de alta precisión, cada innovación ha contribuido a construir una práctica más eficiente, segura y humana.

La IDS ha sido mi ventana al futuro, un escenario donde la tecnología y la pasión se unen para redefinir la Odontología. Hoy os invito a mirar hacia adelante, a innovar y a transformar vuestras prácticas para brindar una atención de excelencia. ●

Freepik/Prostooleh.

Mercado dental

Las m icroempresas e n España, que recordemos son aquellas con menos de 10 empleados y una facturación anual inferior a 2 millones de euros, constituyen un elemento fundamental del tejido económico y empresarial del país. Representan aproximadamente el 95% de las empresas españolas y emplean alrededor del 30-35% de la fuerza laboral total.

Aunque constituyen la mayoría de las empresas en términos numéricos, la contribución de las microempresas al PIB ronda el 15-20%, una cifra que puede parecer limitada; sin embargo, el impacto económico total de las microempresas sigue siendo significativo gracias a su capacidad de generar empleo (y, por supuesto, autoempleo), especialmente a nivel local.

Las clínicas odontológicas y los laboratorios dentales son un ejemplo típico de microempresa (en la mayoría de los casos, son empresas individuales con un número muy limitado de empleados), por lo que enfrentan desafíos y oportunidades

«Invertir en especialización, innovación tecnológica y en la gestión de la relación con los clientes es una estrategia clave para garantizar la sostenibilidad y el éxito de los laboratorios»

muy similares a los de otras pequeñas empresas.

A partir de los años 2000, sin embargo, algo ha cambiado progresivamente hasta transformar radicalmente la concepción misma de «hacer empresa». Las dinámicas del mercado se han vuelto extraordinariamente más competitivas y aquellas habilidades de flexibilidad y creatividad que han caracterizado a las microempresas se han convertido gradualmente en limitaciones para el crecimiento, impidiendo alcanzar la masa crítica y la cultura empresarial necesarias para competir a largo plazo. La excesiva fragmentación del sistema y, en la mayoría de los casos, las dificultades en la sucesión generacional, están haciendo que las microempresas sean cada vez menos competitivas, lo que las obliga a repensar sus estrategias para un futuro que ya es presente.

El crecimiento de la demanda de tratamientos odontológicos en España, impulsado por una mayor concienciación sobre la importancia de la salud oral, ha llevado a muchas

Presidente de Key-Stone.

El artículo se ha llevado a cabo gracias a un estudio que se ha realizado en colaboración con: Para más información sobre la investigación completa de KeyStone, escriba a: marketing@ key-stone.it

dentales en colaboración con FENIN, la Federación Española de Empresas de Tecnología Sanitaria. Empecemos con el número de empleados: la media de 3,8 técnicos muestra cierta heterogeneidad, con más de dos tercios de los laboratorios operando con un máximo de tres técnicos y un 32% organizados en estructuras más grandes, con 4 o más técnicos y una media de 8,1 empleados en este segmento. El hecho de que la media total de 3,8 técnicos (Figura 1) se sitúe más cerca del segmento de los laboratorios más grandes (con 4 o más técnicos) es un primer indicador de la heterogeneidad del sector, ya que una media «normal» debería situarse en el segmento intermedio. Que se encuentre en el segmento más grande indica que relativamente pocos laboratorios emplean un número significativamente mayor de trabajadores.

personas a acudir a las clínicas dentales tanto para prevención como para tratamientos relacionados con la estética. Además, el envejecimiento de la población ha incrementado la demanda de tratamientos protésicos e implantes dentales, creando un mercado en expansión también para los laboratorios dentales. Es precisamente el sector de los laboratorios dentales el que quiero analizar en mayor profundidad en este artículo.

RESULTADOS DE LA ÚLTIMA INVESTIGACIÓN OMNIVISION

DE KEY-STONE

Veamos los resultados de la última investigación OmniVision de KeyStone, realizada sobre una muestra representativa de 300 laboratorios

Esta heterogeneidad se vuelve aún más evidente si se considera el número de clínicas dentales atendidas, con una media de 23 clínicas clientes (Figura 2), lo que representa un número considerable, pero esta media se genera solo gracias al 32% de laboratorios que declaran más de 15 clínicas clientes; en este caso, la media para este segmento de laboratorios es de casi 57 clínicas atendidas. Aún más, en este caso, la media de clínicas atendidas se encuentra en el segmento más grande, indicando que relativamente pocos laboratorios atienden a un número significativamente mayor de clínicas dentales.

Es evidente, por lo tanto, la enorme diferencia entre un tercio de los laboratorios que trabajan con una media de clientes mucho mayor que los otros dos tercios. Se trata de una

Figura 1.
Figura 2.
«La media de laboratorios que poseen fresadora es del 31%, y un 61% impresora 3D»

diferencia tan grande que sugiere un modelo de negocio completamente diferente, con una organización más cercana a la industrial y que, inevitablemente, requiere una gestión más «empresarial».

Antes de profundizar en las consideraciones sobre el modelo de negocio, vale la pena recordar que para el 68% de los laboratorios, que cuentan con un máximo de 3 técnicos (incluido el propietario) y atienden hasta 15 clínicas, la dependencia de cada clínica cliente es muy alta y, probablemente, la gestión personalizada de los dentistas clientes por parte del propietario es fundamental.

Para los laboratorios más pequeños, esta situación es realmente compleja desde el punto de vista de la garantía de trabajo a largo plazo, con una enorme disparidad en el poder de negociación y la confirmación de una fragmentación excepcional del sector.

Una dispersión tan grande de actores en el mercado conduce a una fuerte competencia a nivel local, con laboratorios frecuentemente similares entre sí, operando en un mercado a menudo saturado, donde resulta difícil diferenciarse.

Esta intensa competencia puede desencadenar una guerra de precios, lo que reduciría los márgenes de beneficio y obligaría a

TECNOLOGÍASDIGITALESENELLABORATORIO

Hasta5clínicasclientes

De6a15clínicasclientes 15omásclínicasclientes

los laboratorios a ofrecer servicios a precios cada vez más bajos para retener clientes, corriendo el riesgo de comprometer la calidad del producto final.

MODELO DE NEGOCIO Y COMPETITIVIDAD

Pasemos ahora al tema del modelo de negocio. Analizando el número medio de técnicos en relación con el número de clínicas clientes, observamos un fenómeno que conlleva importantes reflexiones estratégicas en la Figura 3.

En el segmento de laboratorios con un máximo de 5 clínicas clientes, la media de empleados es de 1,8 y la de clínicas atendidas por técnico es de 2,0.

Si observamos el segmento intermedio (de 6 a 15 clínicas), la

Figura 3.
Figura 4.
«La dispersión tan grande de actores en el mercado conduce a una fuerte competencia a nivel local, operando en un mercado a menudo saturado y donde resulta difícil diferenciarse»

algunos son ortodónticos y, por lo tanto, no utilizan fresadoras, es bastante evidente que las tecnologías digitales están significativamente más presentes en los laboratorios más grandes. Es, sobre todo esto, lo que explica la mayor capacidad de generar economías de escala y reducir los costes laborales que analizamos anteriormente, considerando el número de clientes por empleado.

media de empleados es de 2,8 y la de clientes por operador es de 3,7.

Analizando el segmento de laboratorios con un mayor número de clientes, la media de empleados es de 6,8, pero la de clínicas dentales por técnico alcanza 8,9.

Esta gran diferencia deja claro el mayor nivel de competitividad y la mayor posibilidad de economías de escala de los laboratorios más grandes.

Cabe destacar que en los laboratorios de mayores dimensiones hay también un cierto porcentaje de laboratorios ortodónticos (que normalmente atienden a muchas más clínicas), pero, indudablemente, la diferencia clave radica en las tecnologías disponibles.

El estudio OmniVision en colaboración con FENIN nos ha permitido analizar la penetración de las Fresadoras y las Impresoras 3D, según diferentes parámetros de segmentación, pero me gustaría centrarme en la relación con el número de clientes atendidos y, por ende, con el tamaño del laboratorio.

Como se puede observar en la Figura 4 , siempre recordando que entre los laboratorios más grandes

La media de laboratorios que poseen una fresadora es del 31%, con un mínimo del 18% en los más pequeños y del 45% en los más grandes. Mientras que la impresora 3D, presente en el 61% de los laboratorios en promedio, alcanza el 29% en los más pequeños y el 66% en los más grandes. Interesante notar cómo el uso de tecnologías digitales y la gestión de laboratorios más grandes, se reduce en los técnicos titulares menos jóvenes.

CONCLUSIÓN

Para concluir, volvamos a ese 68% de laboratorios realmente pequeños. Estas empresas enfrentan desafíos significativos, como la creciente competencia, la dificultad de acceder a inversiones importantes y la complejidad burocrática. Sin embargo, las oportunidades derivadas de la creciente demanda de servicios protésicos, junto con los avances tecnológicos, ofrecen margen de crecimiento y optimización del personal y, en consecuencia, de los costes. Invertir en especialización, innovación tecnológica y en la gestión de la relación con los clientes representa una estrategia clave para garantizar la sostenibilidad y el éxito de estas pequeñas, pero importantes empresas, en cuyas manos está confiada la sonrisa y la salud oral de millones de españoles. ●

ESCANEO INTRAORAL EN CLÍNICA DENTAL

Somos especialistas en la impresión 3D de prótesis dentales de resina y metal

ENVÍO DEL ARCHIVO DIGITAL AL LABORATORIO

TECNOLOGÍA CAD / CAM DE CNC DENTAL 04

IMPRESIÓN 3D DE PRÓTESIS DENTAL POR CNC DENTAL

RESULTADO

RECHAZO AL ANTEPROYECTO DE LEY DEL ESTATUTO MARCO

Los dentistas demandan una clasificación justa para la profesión

Tras el comunicado emitido por el Consejo General de Dentistas de España en el que la entidad colegial manifestaba su rotundo desacuerdo con la propuesta de clasificación profesional del personal estatutario con titulaciones en Ciencias de la Salud establecida en el borrador del Anteproyecto del Estatuto Marco del Personal Estatutario del Sistema Nacional de Salud, numerosas sociedades científicas han mostrado su total apoyo al Consejo.

Dicho texto ubica a los odontólogos en el Grupo 7, que corresponde a «personas con título de Nivel 7 del Marco Español de Cualificaciones para el Aprendizaje Permanente (MECU) o nivel 6 del MECU con título de Especialista en Ciencias de la Salud», reservando el Grupo 8 exclusivamente para aquellos profesionales con un título de especialista o con doctorado. «Esta clasificación supone una discriminación y un desprestigio para la profesión de dentista como profesión sanitaria de alta cualificación, ignorando que sus competencias incluyen diagnóstico, prescripción y tratamiento odontológico y quirúrgico, con la responsabilidad y rigor que ello implica», señalan desde el Consejo.

En este sentido, la Sociedad Española de Endodoncia (AEDE), presidida por el Dr. José Aranguren, reitera «su compromiso con la defensa de la profesión odontológica y la calidad asistencial en España» y no cesarán en su esfuerzo «hasta garantizar que los odontólogos reciban el reconocimiento y la clasificación que merecen».

La Sociedad Española de Epidemiología y Salud Pública Oral (SESPO), presidida por la Dra. Verónica Ausina, también expresa su «más profunda consternación y preocupación tras conocer el contenido del borrador del Anteproyecto de Ley» y coincide plenamente con el análisis del Consejo de Dentistas sobre «las graves implicaciones que esta medida tendría para la Odontología, perpetrando una situación de desigualdad e injusticia, especialmente debido a la falta de especialidades odontológicas oficiales».

En la misma línea se ha pronunciado la Sociedad Española de Prótesis Estomatológica y Estética (SEPES), presidida por el Dr. Guillermo Pradíes, alegando que, al no estar creadas las especialidades, resulta imposible que los odontólogos españoles puedan acceder al Grupo 8, ya que no disponen de la categorización de especialistas.

Por su parte, la Sociedad Española de Odontopediatría (SEOP), presidida por el Dr. Miguel Hernández, considera «injusta y discriminatoria» la ubicación en el Grupo 7, sobre todo porque se trata de profesionales que han superado una formación de grado superior de 300 ECTS y no de 240 ECTS.

Del mismo modo, la Sociedad Española de Medicina Dental del Sueño (SEMDeS), presidida por la Dra. Patricia Fernández, manifiesta «su adhesión total y absoluta» al comunicado emitido por el Consejo y solicita «la modificación inmediata de este Anteproyecto de Ley».

Desde la Sociedad Española de Ortodoncia y Ortopedia Dentofacial (SEdO), su presidente, el Dr. Juan Carlos Pérez Varela, quiere transmitir «el firme posicionamiento de nuestra Sociedad en defensa de una clasificación adecuada para los dentistas, acorde con el nivel de competencias» ●

MEDIO CENTERAR DE PROFESORES ACUDIERON

A LA CITA

SEPES refuerza su compromiso con la Conferencia Anual Ibérica de Prostodoncia

Los pasados 14 y 15 de febrero se celebraron en el Palau de les Heures de Barcelona las XXXVI Jornadas Ibéricas de Profesores Universitarios de Prostodoncia bajo la dirección y coordinación de los profesores de la Universitat de Barcelona (UB) Mariona Peraire y Raúl Ayuso, respectivamente, y el apoyo de SEPES.

Las Jornadas fueron inauguradas por el decano de la Facultad de Ciencias de la Salud de la Universitat de Barcelona, el profesor Antoni Trilla. En la mesa inaugural, junto a los organizadores, intervino el vicepresidente de SEPES, el profesor Rafael Martínez de Fuentes, quien destacó el compromiso de la junta directiva de SEPES en apoyar de forma activa esta Jornada anual de formación de profesorado e impulsar una mayor y progresiva participación y presencia de profesores jóvenes de prótesis.

Medio centenar de profesores de Prostodoncia de España y Portugal se dieron

cita en la Ciudad Condal, en representación de las Universidades: Complutense de Madrid, Granada, Sevilla, Viseu, Porto, Lisboa, Rey Juan Carlos, Murcia, Internacional de Catalunya, País Vasco, Santiago y la Universitat de Barcelona, anfitriona de las Jornadas.

Las líneas de exposición y debate que estructuraron el programa de las Jornadas fueron la evaluación crítica de los planes de estudio de Grado y su repercusión en la materia de Oclusión y Prostodoncia o la enseñanza de la técnica BOPT en el Grado. Asimismo, se establecieron las bases para consensuar unos protocolos clínicos comunes a todas facultades españolas y portuguesas. ●

Descubra más

Solicite una demostración en su clínica ¡CONTÁCTENOS! Info@ultradent.es - WWW.ULTRADENT.ES

Foto de grupo cedida por SEPES.

EL DR. MITCHEL CHÁVEZ, NUEVO PRESIDENTE

SOCE renueva Junta Directiva durante la celebración de su duodécimo Congreso

El XII Congreso de la Sociedad Española de Odontología Digital y Nuevas

Tecnologías (SOCE) cerró sus puertas el pasado 1 de febrero en el recinto ferial Fira Montjuïc de Barcelona.

Bajo un formato renovado, la SOCE apostó en esta edición por un único auditorio, lo que permitió que todos los asistentes compartieran cada ponencia sin fragmentaciones. En el congreso, y durante dos jornadas, se abordaron temas como los «Ocho pasos clave en Odontología digital interdisciplinar», «Flujo digital predecible en Odontología Estética Mínimamente Invasiva», «Sinergia Perio-Pró tesi s en Implantología en la era digital», «Presente y futuro del diagnóstico por imagen con IA y herramientas digitales», «Protocolos digitales de arcada completa para rehabilitaciones definitivas implanto-soportadas», «Nuevos flujos en Odontología Digital», «Odontología OpenSource, ¿hasta dónde se puede llegar?» o

«Implantes subperiósticos: soluciones digitales innovadoras para atrofias severas», entre otros.

TALLERES

Y DEMOSTRACIONES EN VIVO

Uno de los grandes atractivos de SOCE Barcelona 2025 fue la apuesta por la formación práctica, con talleres sobre flujo digital en Odontología restauradora, planificación quirúrgica guiada y digitalización en ortodoncia, cuya alta respuesta refleja el creciente interés por la integración tecnológica en la clínica diaria. La inteligencia artificial o la impresión 3D también fueron grandes protagonistas de la cita.

NUEVA JUNTA DIRECTIVA

En el marco del Congreso SOCE Barcelona 2025 también se produjo el cambio de la Junta Directiva de la Sociedad, que estará presidida por el Dr. Mitchel Chávez. Por su parte, el Dr. Luis Ilzarbe ocupará la vicepresidencia; la Dra. Bárbara Pamies la secretaría-tesorería y el Dr. Santiago Dalmau la vocalía. ●

EL SÉPTIMO ARTE, HILO CONDUCTOR DEL EVENTO

La Odontología multidisciplinar, protagonista del 7º Congreso COEM

Los días 7 y 8 de febrero, Kinépolis Madrid acogió la séptima edición del Congreso Bienal del Colegio de Odontólogos y Estomatólogos de la I Región (COEM), un evento que reunió en la capital a cerca de 2.000 profesionales.

Con el séptimo arte como hilo conductor y bajo el lema «En boca de todos», la nueva edición del Congreso Bienal del COEM estructuró el programa científico, de la sala principal, en bloques temáticos, celebrados en dos jornadas y dedicados a parcelas muy destacadas de la Odontología: Diagnóstico Radiológico; Implantología; Desgaste Dentario; Alineadores; Blanqueamiento; Hipomineralización Incisivo Molar; Enfermedad Periimplantaria; Endodoncia; Materiales Restauradores; Inteligencia Artificial + Medicina y Gestión. Sesiones con un formato innovador y ponencias de no más de 15 minutos, que contaron con la participación de destacados referentes.

DEL USO DEL ÁCIDO HIALURÓNICO

A LA SOSTENIBILIDAD

Asimismo, en la sala 360 grados diferentes ponentes abordaron temas muy diversos como

«Efecto de las verduras ricas en nitrato sobre la microbiota oral: beneficios para la salud bucodental y cardiovascular»; «¿Cómo preparar tu clínica para una inspección?”; «Competencias y límites en Odontología en el uso del ácido hialurónico, toxina botulínica e hilos tensores»; «Medidas de sostenibilidad ecológica en la clínica dental»; «Odontología y Farmacia: colaboración clave para combatir la resistencia antibiótica y los errores más frecuentes en la prescripción de medicamentos»; «Rehabilitando con composite directo»; «Obtener neuronas a partir de dientes de leche» o «Herramientas digitales: el dentista frente al cambio de paradigma».

Por primera vez en la historia del Congreso COEM, los médicos del SERMAS asistieron a la cita. De este modo, la Sala Sermas se dedicó a las «Patologías sistémicas y la salud bucodental » Además, se abordaron otros temas como el manejo del paciente con EPOC, el seguimiento y cuidados del paciente cardiovascular/diabetes, las repercusiones orales de enfermedades generales, el paciente con procesos oncológicos de cabeza/cuello, los cuidados orales de pacientes oncológicos y las alteraciones fisiomorfológicas relacionadas con la salud y los hábitos orales.

MUCHO CINE Y MÚSICA

Además, la séptima edición del Congreso COEM sirvió de marco de presentación del libro «Cine, dentistas y dientes», por parte de la Dra. Beatriz Lahoz, coautora del libro y expresidenta del Colegio de Dentistas de Navarra. Tras la presentación, se organizó una actividad musical en la que participaron todos los asistentes y donde se creó la banda sonora del COEM, para terminar con una fiesta temática de cine con cóctel. ●

Los Dres. Marisol Ucha y Guillermo Pradíes abriendo el 7 Congreso COEM. Foto: COEM.

CONDUCIDO POR EL PERIODISTA JUAN RAMÓN LUCAS

Fundación Fenin lanza un videopodcast para poner en valor la tecnología sanitaria

Para sensibilizar a la población sobre el valor de la tecnología sanitaria, la Fundación Fenin, de la Federación Española de Empresas de Tecnología Sanitaria, ha puesto en marcha la campaña de videopodcast #TecnologíaparaVivir. Este serial de entrevistas, conducidas por el periodista Juan Ramón Lucas, se centra en historias reales de distintas personas que cuentan cómo la tecnología sanitaria ha «transformado» su salud y sus vidas.

«Queremos que todos los ciudadanos sean conscientes que, gracias a la tecnología sanitaria, que va mucho más allá de los grandes equipamientos como tacs, escáneres o robots quirúrgicos visibles en un hospital, hay muchos productos que permiten a las personas vivir y convivir con sus enfermedades. Una prótesis de cadera, una silla de ruedas o un bisturí son también ejemplos de las miles de soluciones tecnológicas existentes que mejoran los resultados en salud y calidad de vida de las

De izq a dcha: Juan Carlos Antony, vicepresidente de la Fundación Fenin; Pablo Crespo, secretario general de Fenin y secretario del patronato de su Fundación; Juan Ramón Lucas, periodista y presentador; el Dr. José Julián Díaz Melguizo, director gerente del Hospital Universitario de La Princesa; y Fernando Vega de Seoane, empresario y protagonista de uno de los videopodcast de la campaña. Imagen: cedida por Fenin.

personas, manteniendo la humanización de la asistencia», ha explicado el vicepresidente de la Fundación Fenin, Juan Carlos Antony.

Por su parte, Pablo Crespo, secretario de Fenin y secretario del Patronato de su Fundación, ha recordado que «los testimonios que recogen estos videopodcast son ejemplos de la importancia que tiene asegurar el acceso ágil a las innovaciones tecnológicas que desarrolla nuestra industria. Son la muestra de que la tecnología da vida y permite disfrutarla». ●

Y TAMBIÉN... UNA EXPOSICIÓN FOTOGRÁFICA

La Fundación Fenin presentó en la estación ferroviaria de Sevilla Santa Justa la campaña «Las otras fotos de tu vida», una exposición fotográfica itinerante que recorrerá distintos puntos de España para sensibilizar sobre la relevancia de la tecnología sanitaria a lo largo de todas las etapas de la vida. La muestra se traduce en un «álbum», compuesto de instantáneas que ponen de relieve cómo la tecnología sanitaria ha marcado un punto de inflexión en la vida de los doce protagonistas al mejorar su salud y calidad de vida.

La actriz y presentadora Nerea Garmendia fue la maestra de ceremonias. Foto: Fenin.

HACE ÉNFASIS EN SU USO ÉTICO

La FDI hace pública su postura oficial sobre la IA en el sector dental

La Federación Dental Internacional (FDI) ha publicado una declaración de postura oficial que subraya el impacto de la inteligencia artificial (IA) en la Odontología. La declaración destaca que aplicaciones como el análisis de radiografías para la detección de caries o la predicción de patologías dentales basadas en datos clínicos e históricos son ejemplos de cómo la IA está optimizando los procesos diagnósticos. «La IA dental promete beneficios en varios niveles: para los pacientes; mejores diagnósticos y planificación de tratamientos, terapias activas y de apoyo, y una mayor accesibilidad a la atención al reducir las

barreras físicas y económicas», reza la declaración.

Como no podía ser de otra manera, la FDI también enfatiza que la adopción de la IA debe venir acompañada de una reflexión ética profunda y de medidas regulatorias claras. «El riesgo de sesgo de automatización (es decir, la excesiva confianza de los profesionales en el uso de la IA) debe abordarse», reza la declaración, que ofrece líneas a estas cuatro preocupaciones: evitar sesgos y promover la equidad; garantizar la autonomía humana; combatir el sesgo de automatización y desarrollar estándares globales. ●

INCORPORACIONES A LA ACADEMIA DE CIENCIAS ODONTOLÓGICAS

Miguel Ángel González Moles y Luis

Mallo, nuevos miembros

de ACODES

La Academia de Ciencias Odontológicas de España (ACODES) celebró un acto de gran relevancia en el que el profesor Miguel Ángel González Moles tomó posesión del sillón 27, correspondiente a la Sección Médico-Quirúrgica, mientras que Luis Mallo tomó la plaza de Académico de Honor.

El discurso de ingreso de González Moles, centrado en el liquen plano, fue un ejercicio de compromiso académico y científico, en la tradición de las grandes intervenciones universitarias. La respuesta corrió a cargo del profesor José Manuel Aguirre, quien pronunció una laudatio a la altura de la ocasión, destacando la trayectoria y aportaciones del nuevo académico.

En su intervención, González Moles destacó el papel fundamental de la investigación

en el avance de la ciencia médica y en la mejora de la atención a los pacientes: «La investigación científica surge de la necesidad de dar soluciones a los problemas humanos y se sustenta en una cualidad esencial para el investigador: la curiosidad insaciable por conocer el porqué de las cosas». Una reflexión que marcó el tono del resto de su discurso, en el que subrayó la importancia del rigor y el espíritu crítico en la investigación clínica.

A continuación, la Academia concedió su Medalla de Honor a Luis Mallo, ingeniero industrial con una destacada carrera en el sector tecnológico. Su labor ha sido clave en la creación de Suma 112 y el servicio de emergencias 112, innovaciones de impacto internacional que han contribuido a salvar innumerables vidas.

Luis Mallo ha dedicado su carrera al impulso de la Odontología mediante la innovación, la formación y el desarrollo de nuevas estrategias en el ámbito clínico y académico. Su liderazgo ha sido clave para la evolución del sector y su reconocimiento como Académico de Honor refuerza su papel como referente en la comunidad odontológica. En su discurso, subrayó la importancia de la innovación como motor de cambio: «Las organizaciones no se transforman por sí mismas, son las personas las que lo hacen. Las instituciones no cambian, las cambiamos nosotros».

Su presentación estuvo a cargo del Académico de Honor, el Dr. Eduardo García Toledano, quien subrayó la relevancia de sus contribuciones al ámbito universitario, científico y tecnológico.

El presidente de la Academia, el Dr. Antonio Bascones, cerró el acto con unas palabras elogiosas para ambos académicos, resaltando el nivel de excelencia de la jornada. ●

Toma de posesión de Luis Mallo y Miguel Ángel González Moles en ACODES.

PARA CONSULTAS Y CLÍNICAS DENTALES PRIVADAS

Los dentistas andaluces crean la Carta de Derechos

y Obligaciones de los

pacientes

El Consejo Andaluz de Colegios Oficiales de Dentistas ha editado la Carta de Derechos y Obligaciones de los pacientes y usuarios en las consultas y clínicas dentales privadas de Andalucía. Esta compilación, aprobada por unanimidad por el pleno del órgano, recoge los distintos compromisos y responsabilidades que los usuarios de las clínicas dentales adquieren al pedir cita y acudir a consulta, así como una serie de derechos que les corresponden.

Entre los derechos que recoge la Carta se encuentran: elegir la consulta y facultativo que vaya a prestar la asistencia dental; recibir un trato respetuoso, digno y confidencial sin que pueda existir ningún tipo de discriminación; respeto a la intimidad y al carácter confidencial de los datos referentes a la salud; u obtener un presupuesto estimativo por escrito del tratamiento.

Como obligaciones del paciente se destacan las siguientes: facilitar y tener actualizados los datos sobre su estado de salud, así como de los medicamentos que le están siendo administrados, de manera leal y verdadera,

Miembros del Consejo Andaluz de Colegios Oficiales de Dentistas. Imagen: cedida por el Consejo.

así como colaborar en su obtención; contribuir con el facultativo dentista en la realización de las exploraciones clínicas y de las pruebas diagnósticas complementarias que fueran necesarias para la realización del tratamiento contratado; o firmar el alta voluntaria cuando, por voluntad propia, decida interrumpir el tratamiento bucodental.

En otro orden de cosas, el Pleno del Consejo Andaluz de Dentistas ha abordado también el uso por los dentistas del ácido hialurónico para la armonización orofacial o el Número de Identificación Medioambiental (NIMA). ●

CON LA PRESENCIA DE VARIAS UNIVERSIDADES ESPAÑOLAS

AEDE analiza todos los temas de interés de la Endodoncia en su XVI Simposio

Los pasados 24 y 25 de enero, la Asociación Española de Endodoncia (AEDE) celebró en la sede del Colegio

Oficial de Odontólogos y Estomatólogos de Madrid (COEM) su XVI Simposio, un evento que contó con la presencia de varias universidades españolas para analizar la evolución y el futuro de la Endodoncia.

En la cita científica se trataron temas como el diagnóstico restaurador en Endodoncia, la desinfección del sistema de conductos, la Endodoncia terrenal y la decoronación. Todo ello a través de una dinámica de charlas de apenas 30 minutos y en la que primó la interacción de los asistentes con preguntas y encuestas de forma directa a los ponentes.

Respecto a la participación universitaria, de Madrid, el Simposio contó con la presencia de la Universidad Rey Juan Carlos, la Universidad Complutense de Madrid, la Universidad Europea y la Institución Mississippi, con los Dres. Santiago Vega Calleja, Jaime Bascones Ilundaín, Alejandro

Pérez Ron, Covadonga Sánchez Padilla y Joaquín Olivares Contreras.

Desde Andalucía asistieron los Dres. Isabel Crespo Gallardo y David Uroz, de las Universidades de Sevilla y Granada. De la costa mediterránea tuvieron presencia la Universidad de Barcelona, la Universidad de Valencia, la Universidad Internacional de Cataluña y la Universidad Católica de Valencia, con los Dres. Gonzalo Gómez, Alberto Casino Alegre, Piedad Soldado Cañadas, James Ghilotti y Tito Faus Matoses. Por su parte, desde la Universidad de Zaragoza acudió el Dr. Sergio González Bejarano, y de la Universidad de Santiago, la Dra. Miriam Teulé Trull.

El objetivo principal de las ponencias se basó en la actualización completa sobre las novedades en el campo de la Endodoncia. Por ello, se abordaron asuntos tan variados que fueron desde las estrategias endodónticas para dientes con ápice abierto y pulpa necrótica, la decoronación y la cirugía endodóntica hasta la transformación de la Endodoncia con técnicas digitales guiadas, el resto de diagnosticar «a tiempo» una fractura radicular vertical y los beneficios del láser en consulta.

FORMACIÓN Y BECA RAFAEL MIÑANA

La formación continuará siendo uno de los pilares fundamentales para AEDE, sin dejar de lado la lucha por conseguir el reconocimiento de la Endodoncia como especialidad odontológica. Otra de las cuestiones que se suma este año a la hoja de ruta es la puesta en valor de la investigación. Así, la institución ha creado la beca de «Rafael Miñana Laliga» destinada a los miembros numerarios y titulares de AEDE que estén cursando un doctorado o realizando el trabajo de fin de máster de un posgrado en Endodoncia. Esta beca busca potenciar la formación e investigación en Endodoncia entre los profesionales más jóvenes. ●

De izq. a dcha.; los Dres. Francisco De la Torre, José Aranguren y Eugenio Grano de Oro en la presentación del XVI Simposio AEDE en el COEM. Imagen: cedida por AEDE.

CON EL PUNTO DE VISTA EN LA EXCELENCIA

EOMA abre sus puertas con una oferta formativa especializada y de alto nivel

Inauguración de EOMA el pasado 31 de enero, donde acudieron odontólogos, técnicos, higienistas y representantes de la industria.

El proyecto nace con el objetivo de ser «punto de encuentro para toda la comunidad odontológica». Por este motivo, EOMA cuenta con un Consejo Educativo constituido por profesionales de reconocido prestigio.

La Escuela de Odontología y Medicina Avanzada (EOMA) abrió sus puertas de manera oficial el pasado 31 de enero con un espectacular evento de inauguración al que acudieron odontólogos, técnicos, higienistas y representantes de la industria de referencia en el sector y que supuso el pistoletazo de salida de un proyecto que nace con el objetivo de «ser el punto de encuentro para toda la comunidad

odontológica», según destacó Norberto Casáñez, impulsor de EOMA junto a Rubén Fernández.

Norberto Casáñez explicó que el «objetivo de EOMA es aportar al sector odontológico en particular y sanitario en general una formación de calidad, basada en la práctica real» y añadió que «para conseguir este objetivo, en EOMA contamos con profesionales de reconocido prestigio que están muy implicados en la práctica diaria y en la formación, siempre desde el punto de vista de la excelencia».

«El objetivo de EOMA no es solo convertirse en referente de formaciones de alta calidad, sino poder contribuir desde el trabajo y la humildad a dignificar nuestra comunidad, poniendo nuestros valores por delante de nuestros intereses», destacó.

«El proyecto formativo es una apuesta sin fisuras por las nuevas tecnologías, pero mantiene su compromiso con el factor humano, punto troncal de toda práctica médica y que estará coordinado por un Consejo Educativo»

El Consejo Académico de EOMA, de izq. a dcha.; José Luis Antonaya, Carmen Corral, Norberto Casáñez, Juan Manual Vadillo, Jaime Hernanz y Jorge Longar.

e Implantología), José Luis Antonaya (Prostodoncia y Endodoncia) y Norberto Casáñez (Técnico de Prótesis dental).

UN ESPACIO DE 1.200 METROS CUADRADOS DEDICADOS A LA FORMACIÓN

El proyecto de EOMA se articula en torno a un espacio de 1.200 metros cuadrados en el Polígono Industrial de Las Nieves, en un polo económico y empresarial muy bien comunicado con Madrid y de fácil aparcamiento. Un espacio con sala de conferencias, salas de formación preclínica, sala digital, sala técnica CAD-CAM, gabinetes dentales y estancias de intercambio de conocimientos.

«El proyecto formativo es una apuesta sin fisuras por las nuevas tecnologías, pero mantiene su compromiso con el factor humano, punto troncal de toda práctica médica y que estará coordinado por un Consejo Educativo integrado por representantes de las diferentes áreas que componen las disciplinas odontológicas. Este Consejo será el encargado de que el proyecto mantenga siempre sus objetivos fundacionales y de que la formación que se imparta mantenga un estatus al más alto nivel y de acuerdo con los más exigentes estándares internacionales», destacan desde EOMA.

Este órgano está formado por Juan Manuel Vadillo (Dirección), Jorge Longar (Ortodoncia y Odontopediatría), Carmen Corral (Higiene bucodental), Jaime Hernanz (Periodoncia

UNA OFERTA FORMATIVA AMPLIA, ESPECIALIZADA Y DE ALTA CALIDAD

El programa formativo de EOMA ya ha comenzado a andar con un catálogo muy amplio de objetivos que tienen como base la especialización en cada una de las ramas odontológicas.

De esta manera, ya se están impartiendo cursos modulares, estancias clínicas y preclínicas, formaciones integrales con cirugía en directo, masterclass, talleres y otros. Todo un programa formativo de prestigio dictado por ponentes nacionales e internacionales con amplio recorrido en la formación. ●

DESCUBRE TODO EL PROGRAMA FORMATIVO

DESDE SEPA INSISTEN EN LA PREVENCIÓN

El número de implantes dentales colocados se duplica en la última década

Los Dres. José Nart, Beatriz Tapia y Alberto Monje durante el acto de presentación del Congreso SEPA Barcelona 2025. Imagen: cedida por SEPA.

En los últimos diez años, se han colocado en España 17 millones de implantes. Se ha pasado de una cifra de prácticamente un millón doscientos mil en 2014 a casi dos millones doscientos mil en 2024, según las estimaciones realizadas por la compañía internacional de estudios de mercado Key-Stone.

Desde la Sociedad Española de Periodoncia (SEPA) insisten en la necesidad de optimizar la prevención de las enfermedades periimplantarias, que amenazan el éxito y supervivencia de los implantes dentales, como ocurre con la periimplantitis. Precisamente, este será uno de los temas que se abordarán en el próximo Congreso que SEPA celebrará en Barcelona del 26 al 29 de noviembre de 2025. En este sentido, la lectura que se hace de los datos de Key-Stone por parte de SEPA ofrece cuatro mensajes clave, según resume su presidente, el Dr. José Nart: «Existe un interés creciente, a nivel social y profesional, por emplear terapias de implantes para

sustituir piezas dentales que no han podido mantenerse; las terapias con implantes dentales son eficaces, seguras y suelen cumplir con las expectativas de los profesionales y de los pacientes, con total respaldo científico; se advierte un número creciente de enfermedades de los tejidos que rodean los implantes dentales en nuestro medio, que podrían poner en peligro esta buena aceptación y sus resultados a corto, medio y/o largo plazo; la prevención, tanto de las enfermedades que terminan por precisar de soluciones con implantes dentales, así como de las patologías que pueden poner en riesgo el éxito de la terapia de implantes, es crucial, primordial, prioritaria y urgente».

La evaluación que la empresa Key-Stone efectúa del mercado de los implantes dentales en España también apunta aspectos esenciales relacionados con los costes. Tan sólo en 2024, atendiendo a los precios medios manejados, se calcula que los españoles se han gastado más de 1.700 millones de euros en implantes dentales. La cifra, como explica Roberto Rosso, fundador y presidente de Key-Stone, «surge de multiplicar el coste medio de un implante dental (que se sitúa en unos 800 euros) por los casi 2,14 millones de implantes colocados el pasado año en España».

En concreto, tras consultar con cerca de 400 clínicas dentales, se establece que el precio medio por implante (solo la fase quirúrgica, sin incluir el precio de la prótesis), es de 808 euros; esta cifra se eleva hasta los 1.250 euros, de media, cuando el tratamiento es completo (con corona).

PREVENCIÓN,

EVIDENCIA CIENTÍFICA Y EXCELENCIA CLÍNICA

A tenor de los costes que suponen y de sus implicaciones para la salud, desde SEPA se

tratamientos tanto terapeúticos
preventivos, realizando un protocolo de trabajo eficaz y menos invasivo que los modelos tradicionales. ”

recalca la importancia de la prevención. Especialmente preocupantes, por el aumento de su prevalencia y sus consecuencias económicas y para la salud, son las enfermedades periimplantarias. Sin embargo, la buena noticia es que la mayoría de los factores que acaban desencadenando la periimplantitis son prevenibles o tratables.

«Casi una cuarta parte de los implantes dentales colocados (el 24%) está en riesgo de perderse a causa de la periimplantitis, una infección causada por bacterias que provoca inflamación en la encía que rodean el dispositivo y que, además, causa la pérdida del tejido óseo que le da soporte. Según los estudios publicados, un tercio de dispositivos afectados tendrá que ser retirado, otro tercio se recuperará con el tratamiento adecuado y el resto quedará en una situación intermedia: no se perderá, pero seguirá con signos de inflamación y progresión de la enfermedad», explica el Dr. José Nart, quien recuerda que «actualmente más de tres millones de españoles está en riesgo de perder un implante a causa de las infecciones».

«A pesar de la amenaza que supone la periimplantitis, el implante dental es la mejor opción cuando la pérdida de las piezas naturales es un hecho (aunque siempre que se pueda hay que intentar salvarlas). Y una vez instalado el implante, hay que cuidar la higiene

PT-B

Limpiador dental con aeropulidor

Mejora la experiencia del paciente y aumenta la rentabilidad de tu clínica.

“La

oral, visitar al dentista dos o tres veces al año… Sin duda, la clave del éxito para luchar contra esta infección está en la prevención y, para que ésta sea más eficaz y se extienda a toda la población, es fundamental contar con una mayor sensibilización sobre esta patología, que es un problema de salud», apuntan desde SEPA.

Pero, además, «debemos asegurar que los tratamientos que se realizan, especialmente los relacionados con las enfermedades de las encías y de los tejidos que rodean los implantes dentales, se lleven a cabo desde la evidencia científica y la excelencia clínica, tal como reflejan las guías de práctica clínica (que se expondrán en el marco del congreso SEPA Barcelona 2025)», defiende el Dr. Nart, quien recuerda que «la detección temprana de las enfermedades periimplantarias facilita el tratamiento, lo hace más rápido y aumenta las posibilidades de éxito». ●

PARA MÁS

¿QUIERES CONOCER MÁS DETALLES DE SEPA BARCELONA 2025?

1.Aeropulidor

Indicado tanto para el tratamiento de la profilaxis supragingival como subgingival.

Limpieza mediante ultrasonidos:

2. Preparación antes de las restauraciones.

3. Tratamiento periodontal.

4. Tratamiento endodóntico.

27 22 02

5. Mantenimiento de implantes.

unidad PT-B me facilita realizar tratamientos tanto terapeúticos como preventivos, realizando un protocolo de trabajo eficaz y menos invasivo que los modelos tradicionales.
Sonia Rodríguez Higienista.

LA SEGURIDAD DEL PACIENTE, PRIORITARIA EN ESTOS CASOS

El Consejo de Dentistas alerta sobre el intrusismo en tratamientos con bótox

Ante la creciente preocupación por los últimos casos de intrusismo profesional detectados en los tratamientos con toxina botulínica (bótox) y ácido hialurónico y que ha denunciado públicamente el Ministerio del Interior, el Consejo General de Dentistas de España manifiesta que únicamente odontólogos y médicos tienen atribuciones legales para aplicar estos procedimientos dentro de sus respectivos campos de actuación.

Cabe recordar que el Consejo General de Dentistas y el Consejo General de Médicos suscribieron en febrero de 2023 una declaración conjunta alertando precisamente sobre el aumento de casos de intrusismo profesional, especialmente relacionados con el uso de toxina botulínica y ácido hialurónico. En este documento, quedó claramente especificado que dentistas y médicos son los únicos profesionales con competencias y atribuciones para la realización de determinados tratamientos mediante el uso de microfillers (ácido hialurónico) o toxina botulínica dentro de sus respectivos campos de actuación. Tal y como ha confirmado la Agencia Española de Medicamentos y Productos Sanitarios (AEMPS), en el caso de los dentistas, la toxina botulínica puede ser utilizada, con carácter general, para el tratamiento de la sialorrea crónica en adultos y niños. Concretamente, el Xeomin, que es el único medicamento con toxina botulínica que tiene autorizado su uso para el tratamiento de esta patología dentro del campo del dentista. Por otro lado, el ácido hialurónico tiene diferentes usos en el campo de la

armononización orofacial y para el tratamiento de determinadas patologías en el campo de actuación del dentista, lo que lo convierte en un producto sanitario de uso cada vez más común en las clínicas dentales.

Desde el Consejo General de Dentistas insisten en la necesidad de que los pacientes verifiquen siempre la titulación del profesional que vaya a aplicar estos tratamientos, para evitar ser víctima de este tipo de delitos. «Los últimos casos detectados hacen referencia a personas que carecen de la titulación requerida y que aplican estos medicamentos o productos sanitarios, respectivamente, en peluquerías o centros de estética, incluso empleando materiales exportados que carecen de autorización de comercialización por las autoridades competentes, lo que supone un riesgo importantísimo para la salud de los pacientes», explican desde el Consejo.

Ante ello, la organización colegial incide en que la seguridad del paciente debe ser prioritaria, y solo dentistas y médicos cuentan con la formación, competencias y respaldo legal necesario para garantizar procedimientos seguros y eficaces en sus respectivos campos de actuación. ●

¡ACCEDE AL NUEVO MANUAL DE ARMONIZACIÓN OROFACIAL

EL 18 DE SEPTIEMBRE SE PREMIA LA EXCELENCIA EN ODONTOLOGÍA

¡Ya tenemos presentador para la gala de los 28 Premios GD!

El mentalista Vicente Lucca repite, un año más, como maestro de ceremonias de los Premios GD, que en esta edición vienen cargados de novedades.

Los 28 Premios GD contarán, de nuevo, con un maestro de ceremonias excepcional que ya nos cautivó el pasado año: Vicente Lucca. El mentalista, quien saltó a la fama en España tras su paso por la novena edición de Got Talent, sorprenderá a los asistentes con su fusión de magia, psicología y sugestión.

Y es que, con su estilo enérgico y cautivador, mantiene una interacción constante con el público, que se convierte en el verdadero protagonista de la experiencia.

Los que disfrutrásteis de la gala de la pasada edición sabéis de sobra de lo que hablamos, así que, si os quedásteis con ganas de más, este año Lucca nos ofrecerá un nuevo espectáculo.

¿QUÉ

SE PREMIARÁ?

Las categorías de los 28 Premios GD han sido diseñadas para reflejar la realidad actual del sector.

Premios GD para Profesionales

- Mejor Artículo Científico (patrocinado por IPG Dental).

-Mejor Caso Clínico (patrocinado por Ivoclar).

Premios GD Talento (Estudiantes)

- Talento en Postgrado en Odontología (patrocinado por Denarius).

-Talento en Grado en Odontología (patrocinado por Instituto IPAO).

- Talento en Prótesis Dental (patrocinado por Laboratorio Ceranium)

- Talento en Higiene Dental.

Premios GD a la Excelencia y Digitalización

- Impulso Digital (patrocinado por Align).

- Experiencia de Paciente (patrocinado por EOMA Formación).

- Clínica Sostenible.

- Comunicación y Marketing (patrocinado por Salugraft Dental).

Premios GD a la Innovación y Empresa

- Avance Tecnológico (patrocinado por Expodental).

- Apoyo a la Investigación (patrocinado por Donte Group).

- Profesional Disruptivo (patrocinado por IPD).

- Responsabilidad Social Corporativa.

Premios GD Sociedad y Cultura

- Proyecto Solidario.

- Libro del Año (impulsado por la Tienda GD). ●

¡DESCUBRE CÓMO PARTICIPAR!
Vicente Lucca, en la pasada edición de los Premios GD. Imagen: Xavi Gómez.

Murcia será la sede del XIV Congreso Nacional de la Sociedad Española de Odontología Infantil Integrada (SEOII), que tendrá lugar los días 27, 28 y 29 de marzo de 2025. ¿Qué esperan de esta cita científica?

—Las expectativas desde el punto de vista científico son altas, ya que vamos a contar con ponentes nacionales e internacionales del más alto nivel, que van a actualizar a los asistentes en las materias en las que son expertos. Esperamos contar, como en anteriores ediciones, con un gran número de profesionales del ámbito de la Odontología infantil, la Odontología general y aquellas disciplinas integradas en el manejo global de la prevención y tratamiento de las patologías orofaciales

DR. ANTONIO JOSÉ ORTIZ

Presidente del XIV Congreso Nacional de la Sociedad Española de Odontología Infantil Integrada (SEOII)

Del 27 al 29 de marzo, Murcia acogerá la celebración del XIV Congreso Nacional SEOII, un evento, en palabras del presidente del mismo, el Dr. Antonio José Ortiz Ruiz, que quiere poner en énfasis el papel de «todas aquellas disciplinas que pueden llegar a intervenir en promocionar, restablecer y preservar la salud oral del niño» a través de un programa científico con grandes ponentes nacionales e internacionales.

del niño. Deseamos una participación activa, en forma de comunicaciones científicas o ponencias, de investigadores y estudiantes de doctorado, de postgrado y de los últimos cursos del grado. También esperamos la amplia participación de las principales compañías del sector odontológico, dedicadas a la comercialización de productos, instrumentos y maquinaria necesarios para el ejercicio de la Odontología infantil.

—El programa abordará temas tan diversos y complementarios como logopedia, fisioterapia, cariología y fluoruros, maloclusiones en bebés, síndromes con base genética que afectan a la zona orofacial, oncohematología, nutrición, MIH, TEA y evaluación del frenillo lingual, entre otros. ¿De Congresos

qué forma se ha estructurado el congreso para cubrir tantas disciplinas y garantizar su integración?

—Todas las conferencias se estructuran alrededor de cuatro grandes temas de suma importancia en la clínica odontológica integrada: el manejo integral en el diagnóstico y tratamiento de las disfunciones orofaciales de los niños; la importancia del fluoruro en la prevención y reparación de las lesiones de caries a lo largo de toda la vida del individuo; la hipomineralización incisivo-molar; y el enfoque integral en la salud bucodental infantil en contextos de condiciones médicas complejas.

—¿Quiénes serán los ponentes nacionales e internacionales encargados de debatir sobre dichos temas? ¿Puede adelantarnos alguna novedad?

—Contaremos con ponentes de la talla de los Dres. Mónica Bartuilli, Aitor Baño Alcaraz, Jaime Aparecido Cury, Silvia José Chedid, Katrin Bekes, Encarna Guillén, Irene Jiménez, Rebeca Pastor, José Alberto Monseco y Roberta Martinelli.

Un hecho relevante que sucederá en el congreso es la presentación oficial del último libro del profesor Jaime Cury para toda Europa. De hecho, que el título de su conferencia «Cariología y fluoruros en Odontología: de la Pediatría a la Geriatría» coincida con el título del libro que ha publicado, no es casualidad. Otro evento que tendrá lugar durante el congreso será la celebración del 25 aniversario de la creación de la SEOII y el reconocimiento a la primera presidenta y fundadora de nuestra Sociedad, la Profesora Antonia Domínguez Reyes; a su sucesor, el Profesor Joaquín de Nova; y a la actual presidenta, Virginia Franco Varas, por la labor que han desarrollado durante estos años en fomentar la visión integral/ interdisciplinar y divulgar sus beneficios en la salud orofacial del niño.

—El congreso está destinado no solo a los profesionales de la Odontología general y la Odontología infantil, sino también a aquellos que desde otras perspectivas y

disciplinas deben intervenir en la promoción o restablecimiento de la salud orofacial del niño en algún momento de su vida. ¿Por qué es importante este enfoque integrado y multidisciplinar entre distintas disciplinas? —Es necesario el conocimiento de todas aquellas disciplinas que pueden llegar a intervenir en promocionar, restablecer y preservar la salud oral del niño; pero, sobre todo, es necesario saber integrarse en un equipo multidisciplinar para conseguir ese objetivo. Esta es la razón por la que en el congreso se abordan temas tan dispares y se ha invitado a ponentes procedentes de campos tan diversos; pero todo, finalmente, confluye en el niño visto como un todo. Este concepto, que es el fundamento de la existencia de la SEOII, se distancia del concepto clásico de la Odontopediatría.

—Un mensaje para aquellos profesionales que todavía no se han inscrito en el congreso. ¿Por qué no se lo deberían perder?

—Por el gran programa científico que con tanto cariño hemos preparado; por lo familiar que es un congreso de la SEOII; porque es una forma amable de estar al día con la mejor formación continuada que se puede ofrecer en Odontología Infantil Integrada en nuestro país; porque la SEOII es una Sociedad Científica dinámica llena de miembros jóvenes, que los apoya y es sensible a sus demandas; por todas las sorpresas que se están preparando en torno al 25 aniversario de la SEOII; y, finalmente, porque si Murcia siempre ha sido ciudad generosa y acogedora, este año, lo será más que nunca, ya que celebra el 1.200 aniversario de su fundación. ●

INFORMACIÓN

DRES. MIGUEL DE PEDRO, MARÍA JESÚS SUÁREZ Y ROCÍO CERERO

Presidentes del Congreso Internacional SEDCYDO/SEGER/SEMO

Del 8 al 10 de mayo, Madrid acogerá el Congreso Internacional organizado conjuntamente por la Sociedad Española de Disfunción Craneomandibular y Dolor Orofacial (SEDCYDO), la Sociedad Española de Gerodontología (SEGER) y la Sociedad Española de Medicina Oral (SEMO) y presidido por los Dres. Miguel de Pedro, María Jesús Suárez y Rocío Cerero, representantes de las tres sociedades participantes.

Dr. Miguel de Pedro (SEDCYDO)

—¿Cuál ha sido el rol de SEDCYDO en la organización de este evento?

—La relación de SEDCYDO con SEMO y SEGER ha sido siempre excelente, aumentando nuestras colaboraciones año tras año. La reunión conjunta de SEMO y SEDCYDO de 2019 en Bilbao fue un éxito absoluto y era cuestión de tiempo que esta colaboración se repitiera. En el año 2022, SEGER y SEDCYDO firmaron un convenio de colaboración con el deseo de realizar actividades conjuntas. El interés común de las tres sociedades en mejorar la salud oral de los pacientes desde una perspectiva médica ha hecho que se desarrolle este congreso internacional en el que las tres sociedades son pilares imprescindibles y equitativos.

—¿Qué importancia tiene este congreso en la promoción del conocimiento multidisciplinar?

—Sin duda, la unión de fuerzas de tres sociedades va a conseguir dar una gran visibilidad de la Odontología como rama de la Medicina. Las tres sociedades tienen una visión médica de la patología oral que afecta a los pacientes, más allá de lo puramente odontológico. La realización de un evento de este calibre, en el que se potencie la participación de postgrados de toda España y de expertos en estas tres áreas de la Odontología, facilitará futuras conexiones multidisciplinares para el manejo de nuestros pacientes.

—¿Qué aspectos del programa científico de este congreso considera que serán más relevantes para los profesionales que trabajan con disfunciones craneomandibulares?

—En los últimos meses, el interés en el dolor orofacial y los trastornos temporomandibulares está creciendo de manera exponencial; a esta misma velocidad están comenzando a desarrollarse nuevas técnicas basadas en la evidencia. Todo el programa de SEDCYDO será excelente, pero creo que es destacable que comencemos a hablar con propiedad acerca

«El interés en el dolor orofacial y los trastornos temporomandibulares está creciendo de manera exponencial»

del uso terapéutico de la toxina botulínica, así como de la medicina regenerativa en trastornos temporomandibulares degenerativos.

—¿Qué novedades o tendencias destacaría en el tratamiento de los trastornos temporomandibulares?

—La evidencia científica avala el manejo interdisciplinar de los trastornos temporomandibulares, más allá del manejo oclusal y con férulas. La actualización en farmacología asociada al dolor neuropático postraumático, las técnicas intraarticulares mínimamente invasivas en ATM y el uso terapéutico de la toxina botulínica serán temas relevantes en nuestro congreso.

—¿Cómo está contribuyendo SEDCYDO a la formación de nuevos profesionales en su área?

—Desde SEDCYDO se apuesta por la formación rigurosa y basada en la evidencia científica. Es el momento de dejar atrás técnicas desactualizadas que aún se siguen enseñando en determinados ámbitos. Nuestra Sociedad realiza formaciones y webinars durante todo el año, para así actualizar a profesionales de la Odontología. Además, nuestra Comisión de Universidades está trabajando a distintos niveles para incluir la asignatura de Dolor Orofacial y Trastornos Temporomandibulares dentro de las universidades de España para que nuestros alumnos puedan recibir formación rigurosa y de calidad.

Dra. María Jesús Suárez (SEGER)

—¿Qué representa para SEGER participar en un evento como este?

—SEGER considera que será una gran oportunidad compartir una experiencia científica única al celebrarse el congreso conjunto con la SEMO y la SEDCYDO. Las tres sociedades científicas comparten áreas afines, por lo que será un congreso multi e interdisciplinar muy enriquecedor para todos.

—¿Podría compartir casos clínicos o experiencias destacadas que se abordarán en el congreso?

—El congreso será de tres días intensos. Están previstos talleres prácticos como la aplicación de la toxina botulínica en los trastornos temporomandibulares o la técnica de composite inyectado. Habrá una jornada conjunta de las tres sociedades con conferencias transversales de temas de la máxima actualidad como el dolor neuropático postraumático, el síndrome de boca ardiente, el abordaje de los desgastes dentarios, envejecimiento y telómeros o el microbioma, entre otros.

Además, en otra jornada cada Sociedad tendrá su espacio con conferencias y mesas redondas donde se abordarán temas muy interesantes. La industria también tendrá un papel relevante en el congreso, presentando sus nuevos materiales o avances tecnológicos en forma de talleres, conferencias o en sus stands.

—¿Qué espera que los asistentes se lleven de las sesiones dirigidas por SEGER?

—Las sesiones de SEGER serán tres. Una enfocada a la Cirugía e Implantología; otra a la Prostodoncia; y otra sesión será multidisciplinar. En cada una de ellas se abordarán temas relevantes con ponentes de gran relieve científico. Esperamos que los asistentes puedan actualizar sus técnicas de trabajo y acceder a las innovaciones tecnológicas y clínicas más recientes enfocadas al adulto mayor.

—¿Qué retos enfrenta actualmente el ámbito de la Geriatría en Odontología?

—Los retos en la Gerodontología vienen de la mano de los últimos avances entre los que cabe destacar los implantes cortos o los implantes subperiósticos, los nuevos materiales restauradores, las terapias regenerativas, el microbioma, la tecnología CAD/CAM o las planificaciones 3D.

Estos avances están transformando la práctica clínica, promoviendo un cuidado más personalizado para los adultos mayores y mejorando su calidad de vida y su bienestar general.

«Los avances en Gerodontología están transformando la práctica clínica, promoviendo un cuidado más personalizado para los adultos mayores y mejorando su calidad de vida»

—¿Cómo está promoviendo SEGER la investigación en su área?

—SEGER promueve la investigación en su área mediante los convenios de colaboración que tiene con otras sociedades científicas (SEMO, SEI, SEPES, SEDCYDO o la Sociedad de Odontogeriatría de Chile).

Participa en la elaboración de libros como el de Gerodontología Clínica o la Guía de Xerostomía, que se presentará en este próximo congreso. Además, tiene una labor importante en la difusión de la investigación en su su área, participando en diferentes eventos y foros científicos, y en su congreso anual.

Dra. Rocío Cerero (SEMO)

—¿Cuál es el papel de SEMO en esta cita científica?

—En realidad, tenemos un papel igualitario las tres sociedades. Es el congreso oficial de cada una de ellas, pero lo hemos convertido en un evento conjunto, que es la primera vez que se lleva a cabo.

En este sentido, nos ha parecido muy adecuado unirnos, aunque ha sido un reto importante aunar los intereses de todos. Sin embargo, ha resultado muy enriquecedor y esperamos que resulte también así para los asistentes al congreso.

—¿Qué temas clave sobre Medicinal Oral se abordarán en el congreso?

—Las lesiones blancas las tratará el Dr. Alessandro Villa y se abordarán desde la perspectiva del reto que suponen, tanto de diagnóstico como de manejo.

Un tema que pocas veces se aborda será la Patología Oral Infantil, que impartirá el Dr. Adalberto Mosqueda, ya que tiene gran experiencia.

El tratamiento con láser de fotobiomodulación puede ofrecer muchas posibilidades de tratamiento que quizá no se tienen en cuenta suficientemente, por lo que el Dr. Dionisio Cortés nos compartirá su experiencia.

La Inteligencia Artificial estará presente para colaborar con el clínico en un futuro muy cercano. Así, el Dr. Bagán y su equipo nos trasmitirán los resultados que están obteniendo.

No faltará la Sesión Clinicopatológica, que es un clásico en nuestros congresos. Es una actividad que tiene muy buena acogida siempre, puesto que nos ayuda a comprender casos que tienen algo especial.

La conferencia magistral estará a cargo del Dr. José Manuel Aguirre y hablará desde la perspectiva conjunta de la Medicina Oral y la Histopatología, ya que es un profesional de ambas áreas.

Los jóvenes tienen su espacio en la presentación de casos SEMO JOVEN, que coordinan la Dra. Leticia Bagán y el Dr. Francisco Gómez.

«A pesar de los avances en el tratamiento de otras localizaciones del cáncer, el de cavidad oral sigue teniendo una supervivencia muy pobre: no más del 50% a los cinco años»

—¿Qué objetivos específicos persigue SEMO en el marco del congreso y cómo contribuyen sus sesiones al enfoque multidisciplinar?

—En este congreso hemos planeado un día completo, el viernes 9 de mayo, que denominamos transversal porque hemos incluido ponencias que consideramos que pueden ser de interés para todos los socios.

En ese día, SEMO aporta la conferencia de Síndrome de Boca Ardiente, que impartirá la Dra. Federica Canfora. Y es que el Síndrome de Boca Ardiente está aumentando su prevalencia y sigue resultando muy difícil su manejo, por eso nos parece importante darle espacio en la parte común del congreso.

El jueves día 8 tenemos talleres y comunicaciones. Aquí SEMO organiza dos talleres. Uno de cuatro horas de biopsia que impartirán la Dra. Carmen Martín Presa y la Dra. Irene Lafuente. Lleva por título «La Biopsia Oral: cuándo, con qué técnica hacerla y cómo interpretar sus resultados».

En él se explicarán, en primer lugar, los motivos para hacerla; la técnica más indicada, ya que la Dra. Carmen Martín tiene una patente de modelo preclínico para la biopsia; y la interpretación de los resultados, pues la Dra. Irene Lafuente trabaja en el Laboratorio de Anatomía Patológica de Bilbao y en el Servicio Diagnóstico Patología Oral y Maxilofacial (SDPOMF).

El otro taller sobre láser lleva por título «El Láser de Diodo en Medicina Oral y Dolor Orofacial: por qué, cómo y cuándo es una excelente opción». Lo impartirá el Dr. Dionisio Cortés y nos permitirá conocer las posibilidades reales del láser. En el taller contaremos con aparatos para poder llevarlo a cabo.

—¿Qué importancia tiene la colaboración entre las diferentes sociedades en el congreso?

—Es la clave de este congreso. Queremos hacer ver que la colaboración entre las diferentes sociedades científicas es positiva siempre. Aunar esfuerzos, descartar protagonismos y evitar competiciones es una actitud que, lejos de disminuir, aumenta las posibilidades de éxito.

—¿Qué avances científicos considera más relevantes dentro de la Medicina Oral?

—Respecto al cáncer oral, la investigación ha hecho que se entienda actualmente como un problema multifactorial. Podríamos decir

que «lo tiene quien puede y no quien quiere». Quizá los clásicos factores de riesgo como el tabaco, el alcohol o la dieta no sean suficientes para producir un cáncer oral, ya que hay otros muchos factores implicados.

A pesar de los avances en el tratamiento de otras localizaciones del cáncer, el de cavidad oral sigue teniendo una supervivencia muy pobre: no más del 50% a los cinco años. En este sentido, el diagnóstico precoz sigue siendo el factor clave en la supervivencia y la investigación busca nuevos marcadores que puedan detectarlo lo antes posible. Todavía no existe el marcador ideal, pero hay muchas posibilidades de encontrarlo a medio plazo.

En estos últimos tiempos, cada vez está más claro y se investiga más la importancia de la cavidad oral en la salud general, la repercusión que tienen los problemas orales en enfermedades como la diabetes, los problemas cardiovasculares, etc…

De igual forma, las enfermedades orales tienen factores sistémicos implicados en su etiología.

UN CLARO OBJETIVO: LA SALUD ORAL EN BOCA DE TODOS

¿Qué mensaje les gustaría trasladar a los potenciales asistentes al Congreso?, les preguntamos a los representantes de las tres Sociedades organizadoras.

—MP : No podemos olvidar el carácter médico de nuestra profesión. El odontólogo es el profesional sanitario encargado de velar por la salud oral de la población y esto incluye el conocimiento y la actualización terapéutica de todas las patologías de la cavidad oral y los tejidos anejos, así como de todas las enfermedades sistémicas con repercusiones orales.

—MJS: Los organizadores estamos trabajando con gran ilusión en este evento pionero, un foro en el que, además de la puesta al día en nuevas técnicas, materiales, o procedimientos, podremos debatir y cambiar impresiones y experiencias. Esperamos no defraudar a los asistentes y que, al finalizar el congreso, se vean enriquecidos, capaces de afrontar los retos de la Odontología en el momento actual y puedan ofrecer una atención integral, eficiente y de calidad a sus pacientes. Desde SEGER esperamos poder seguir contando con la participación de los asistentes a este evento en sus futuros congresos para poder afrontar los retos de la atención a nuestros mayores.

—RC: Sin lugar a dudas, que la SALUD ORAL debe estar en boca de todos. Pero la salud oral con mayúsculas, como la hemos escrito.

La unión hace la fuerza

—¿Cómo surge la idea de unir a tres sociedades en un evento tan multidisciplinar?

—MP: La relación entre las tres sociedades siempre ha sido estrecha, fortaleciendo su colaboración con el paso de los años. Un claro ejemplo de ello fue la reunión conjunta de SEMO y SEDCYDO en Bilbao en 2019, cuyo éxito sentó las bases para futuras iniciativas en común. Tres años más tarde, SEGER y SEDCYDO consolidaron esta sinergia con el objetivo de impulsar actividades conjuntas. La visión compartida de estas tres sociedades por mejorar la salud oral desde un enfoque médico ha sido clave para la creación de este Congreso Internacional, en el que todas desempeñan un papel fundamental.

—MJS: La idea surgió de la mano de los presidentes de las tres sociedades científicas. El Prof. José María Martínez (presidente de SEGER) fue realmente el impulsor y, dada la buena relación entres las tres Sociedades, pensó que era un buen momento para establecer sinergias y crear un espacio dirigido a un amplio número de profesionales.

—RC: Las tres Sociedades tenemos convenios de colaboración firmados. Ya habíamos hecho previamente eventos comunes de forma más informal que resultaron un éxito. Por ello, nos hemos aventurado en este congreso. SEDCYDO y SEMO llevaron a cabo en 2019 una reunión conjunta en Bilbao, que resultó un éxito y pudimos comprobar que este tipo de colaboraciones nos sumaban a ambas Sociedades.

—¿Qué impacto creen que tendrá este congreso en el ámbito de la salud oral?

—MP: Estoy seguro que será el evento científico más relevante en nuestro país en este año. Esperamos más de 500 asistentes, con casas comerciales de distintos ámbitos de la Odontología. Este congreso conjunto reafirmará el concepto de integración y alianza entre distintas sociedades para llegar a más profesionales.

—MJS: Creemos que el impacto será relevante. El lema del congreso es «la salud en boca de todos» y el objetivo que pretendemos los organizadores es ofrecer un encuentro multi

e interdisciplinar que incluya el desarrollo de habilidades y conocimientos transversales, y que permita la mejora de la práctica clínica y la atención integral del paciente, contribuyendo, por lo tanto, a la mejora de la salud oral de nuestros pacientes.

—RC: Mostrará que los odontólogos tienen muchas parcelas de actuación y no la puramente odontológica. Son los responsables de la salud integral de la cavidad oral. Ese mensaje es muy importante para las generaciones futuras, ya que quizá, actualmente, el odontólogo no esté considerado como merece.

—¿Cuál es el principal reto que enfrentan sus respectivas especialidades?

—MP: El reto de nuestras tres sociedades es hacer llegar el conocimiento de nuestro ámbito de trabajo al resto de odontólogos. Son campos minoritarios, pero imprescindibles para la calidad de vida de nuestros pacientes. Por eso creemos en la unión de nuestras fuerzas para llegar al mayor número de odontólogos, y qué mejor manera de unir fuerzas que realizar un congreso conjunto.

—MJS: SEGER tiene como reto principal concienciar a la sociedad en general de la importancia de la salud bucodental en las personas mayores, y su relación con la salud general y la calidad de vida. Somos responsables del bienestar de nuestros mayores, tratando de formar al odontólogo en el cuidado del paciente mayor. Este evento supone una gran oportunidad dado su carácter multi e interdisciplinar.

—RC : La Medicina Oral es la gran desconocida para la sociedad. Este evento ayudará a ponerla en valor y a difundirla. Los pacientes no saben a qué profesional acudir cuando sufren alguna enfermedad oral, por lo que el odontólogo debe valorarse como el profesional más adecuado para diagnosticarlas y manejarlas. ●

MÁS INFORMACIÓN

Productos

Sistema de Inyección Fi-E Woodpecker

Con un nuevo diseño interno, disfrutarás de mayor vida útil y un mantenimiento más sencillo. La batería ahora tiene el doble de capacidad, ¡pasando de 14 a 28 pellets de gutapercha! Además, el calentamiento es un 25% más rápido, alcanzando los 200 oC en solo 12 segundos. Por último, la nueva aleación de las agujas de inyección mejora la eficiencia y durabilidad gracias al calentamiento por inducción.

www.rumarcedeira.com

Tecnología gapZero de Ticare

Para medir cómo afecta la periimplantitis al beneficio económico de una clínica y tomar medidas para reducir el riesgo de periimplantitis, Ticare ha puesto en marcha la tecnología gapZero, una iniciativa para ayudar a las clínicas a reducir el riesgo de periimplantitis y garantizar la salud periimplantaria de los pacientes a largo plazo.

https://www.ticareimplants.com/gapzero/

Cámara Flamingo de Víttrea

Desde Vítt rea presentan Flamingo, una innovadora cámara Full HD (1080p | 30fps) con luz de 70K lux, ultraligera (19g) y con enfoque manual adaptable. Con transmisión WiFi en directo y soft ware de edición incluido, Flamingo permite grabar, documentar y compartir procedimientos con total libertad, gracias a su batería PowerBack de larga duración.

www.vittrea.com

BEGO VarseoSmile TriniQ®:

«One for all»

BEGO presenta la resina VarseoSmile® TriniQ®, el material polivalente que se adapta a la perfección y de forma inteligente a los requisitos de la Odontología moderna y la tecnología dental. Este nuevo material híbrido con carga cerámica se puede utilizar para la impresión 3D de coronas individuales, inlays, onlays y carillas permanentes.

www.bego.com

Nuevo catálogo 2025 de Smart Implant Solutions

Smart Implant Solutions ha agregado una amplia variedad de productos para satisfacer las necesidades clínicas de los profesionales. Sus aditamentos dentales son de la más alta calidad y están diseñados para brindar un rendimiento excepcional en cada procedimiento a través de varias opciones disponibles.

https://smartimplantsolutions.com/

SlimShaper PRO® de Zarc4Endo

Se trata de un innovador sistema de instrumentación endodóntica diseñado para una práctica más eficiente y segura. Gracias a su exclusiva tecnología DualWire®, única en el mundo, ofrece una instrumentación sencilla y altamente eficaz, permitiendo un abordaje mínimamente invasivo. De esta manera se preserva al máximo el tejido pericervical, se mantiene la estructura dental y reduce el riesgo de fracturas.

www.ipgdental.com

Dual Cem, el cemento de polimerización dual

Kiyomi Dental presenta Dual Cem, el cemento de polimerización dual diseñado para la cementación permanente de resinas compuestas, materiales híbridos, fibra de vidrio, disilicato de litio, metal y zirconio. Su gran ventaja es su versatilidad, ya que puede polimerizarse tanto químicamente como por fotoactivación (fotocurado), garantizando una unión resistente completa y fiable en cualquier situación clínica.

www.kiyomidental.com

Sistema STRATA

G de Garrison

Dental

Con una exclusividad otorgada a Laboratorios Normon en mayo de 2024 para el sistema STRATA G, Garrison Dental Solutions busca satisfacer la demanda del mercado español y portugués. STRATA G es un sistema que promete ser un cambio de juego en las clínicas dentales al ofrecer un ahorro significativo de tiempo y una solución definitiva para las restauraciones de clase II. Con su nuevo concepto de trabajo, STRATA G garantiza un sellado periférico de 270 o seal TM, evitando los sobrecontornos y las rebabas del composite.

https://www.garrisondental.com/

Nuevo Método ABC: Salud, belleza y bienestar

Más que un simple tratamiento de profilaxis, el Método ABC es un tratamiento de salud, belleza y bienestar, pero sobre todo se debe ver como un método preventivo. Cada vez son más los profesionales que recomiendan una limpieza integral previa a cualquier intervención, con el fin de reducir la cantidad de bacterias en la zona y reducir así la probabilidad de potenciales complicaciones futuras.

www.rumarcedeira.com

VITA Zahnfabrik presenta nuevas soluciones

En la próxima edición de la IDS, los visitantes de VITA Zahnfabrik podrán descubrir nuevos materiales para la Odontología moderna e innovaciones en el ámbito de la prótesis

digital: VITA Vionic Solutions, VITA Vionic Base Resin Impact, VITA Vionic Dent Resin, VITA Vionic Try-in Resin, VITA Yz Multi Translucent y VITA Lumex Unique:

www.vita-zahnfabrik.com

PT-A / Unidad de Profilaxis, Aeropulidor + Ultrasonidos

Está compuesto por un escalador ultrasónico y un aeropulidor de bicarbonato/ glicina que permite realizar tratamientos periodontales y endodónticos (subgingivales y supragingivales) de forma precisa, eficaz e indolora. El aeropulidor es ideal para pulir, sin producir arañazos en la superficie dental ni daños leves en los tejidos blandos. Además, ambas piezas de mano son divisibles y autoclavables.

www.rumarcedeira.com

Nueva línea BEGO Semados®

Esthetic Line

BEGO presenta la nueva línea de aditamentos protésicos Bego Semados® Esthetic Line que, con su diseño cóncavo, ayudarán al implantólogo a tratar el tejido blando y crear un perfil de emergencia estético en el caso de los implantes de colocación subcrestal. Se ha optimizado el diseño de los componentes protésicos según los conocimientos más avanzados y se ha complementado con una codificación por colores intuitiva y sistemas de impresión digital y analógicos mejorados.

www.bego.com

Técnica con lámina cortical: protocolo simplificado de ROG

Organizan: BeiDE y Center for Advanced Dental Education.

Imparte: Dr. Roberto Rossi.

Fecha y lugar: 6 y 7 de junio de 2025 en Dallas (Estados Unidos).

E-mail: info@bedentalexpert.com

https://bedentalexpert.com/cursos/the-master-series-3-tecnica-del-dr-rossi-conlamina-cortical-protocolo-simplificado-de-rog/

Prótesis sobre implantes: impacto del diseño protésico, materiales y oclusión en el éxito clínico

Organiza: BioHorizons Camlog.

Imparte: Dr. Álvaro Blasi.

Fecha y lugar: 7 de marzo de 2025 en Zaragoza.

https://www.biohorizonscamlog.es/es/formacion/detalles/protesis-sobre-implantesimpacto-del-diseno-protesico-materiales-y-oclusion-en-el-exito-clinico

Título Experto Universitario en Estética Dental

Organiza: CEOdont.

Imparten: Dres. José A. de Rábago Vega, Guillermo Pradíes, Óscar González, Álvaro Ferrando y David Montalvo.

Fechas: distintos módulos y fechas. A consultar.

Teléfonos e e-mail: 915 530 880 - 680 338 317 - cursos@ceodont.com www.ceodont.com

Endodoncia clínica con microscopio y cirugía endodóntica

Organiza: Centro de Formacion Endodoncia Microscópica BZ.

Directores: Dres. Borja y Gonzaga Zabalegui. Fecha y lugar: del 14 de marzo al 29 de noviembre de 2025 en Leioa. Teléfono e e-mail: 944 245 386 - natalia.endodoncia@gmail.com https://odontologiamicroscopica.com/

Estancias Monje-Ticare

Organiza: Ticare junto al Dr. Alberto Monje.

Imparte: Dr. Alberto Monje.

Fechas y lugar: Del 21 al 23 de abril, del 16 al 18 de junio y del 13 al 15 de octubre en Clínica CICOM (Badajoz).

https://www.ticareimplants.com/formacion/

6º Congreso EAS

Organiza: European Aligner Society. Fecha y lugar: del 22 al 24 de mayo de 2025 en Rhodes (Grecia). https://www.eas-aligners.com

Optimización de procesos con BioCAM

Organiza: Ticare.

Equipo formativo: Miquel Ferrer, Victoria Domingo y Manuel Velázquez. Fecha: 21 de marzo de 2025.

https://www.ticareimplants.com/formacion/

Curso de iniciación en Cirugía Guiada

Organiza: BioHorizons Camlog y Nemotec.

Imparte: Dra. Alejandra Ponce de León.

Fecha y lugar: 21 de marzo de 2025 en Madrid. https://www.biohorizonscamlog.es/es/formacion/detalles/iniciacion-en-cirugia-guiada

Título Experto Universitario en Cirugía, Prótesis sobre Implantes y Manejo de los Tejidos Blandos

Organiza: CEOdent.

Imparten: Dres. Mariano Sanz Alonso, José de Rábago Vega, Guillermo Pradíes, Ignacio Snaz y Ana Carrillo.

Fechas: distintos módulos de enero de 2026 a junio de 2026.

Teléfonos e email: 915 530 880 - 680 338 317 - cursos@ceodont.com www.ceodont.com

Experto en Implantoprótesis

Organiza: Universidad Rey Juan Carlos.

Fecha y lugar: del 1 de marzo al 31 de diciembre de 2025. Online. Teléfono e e-mail: 914 884 861 - titulopropio.implantoprotesis@urjc.es https://www.urjc.es/

Curso intensivo de Microtornillos de Ortodoncia

Organiza: Osteógenos.

Fecha y lugar: 11 de julio de 2025 en Bilbao.

Imparte: Dra. Patricia Vergara.

Teléfono e e-mail: 914 133 714 - formacion@osteogenos.com wwww.osteogenos.com

¿Te gustaría aprender o mejorar tu nivel de FOTOgrafía Dental?

Organiza: Fernando Rey FOTOgrafía Dental. Cursos personalizados grupales o individuales. Cursos tanto de nivel clínico como avanzado. Ofrecen diseño de presentaciones, conferencias y comunicaciones modernas, elegantes y dinámicas. www.fotografiadentalfr.com/

Curso de alineadores

Organiza: Ortocervera - Instituto de Ortodoncia. Imparten: Dra. Isabel Cervera, Dr. Alberto Cervera y Dra. Mónica Simón. Fecha y lugar: del 3 al 5 de abril (primer módulo) y del 8 al 10 de mayo de 2025 (segundo módulo).

Teléfono: 915 541 029

www.ortocervera.com

Programa de certificación OrthoApnea NOA

Organiza: OrthoApnea.

Imparten: Dres. Eduardo Vázquez, Sergio Olivan y Javier Albares. Fechas: 21 de marzo en Madrid, 28 de marzo en Barcelona y 16 de mayo en Málaga. https://academy.orthoapnea.com/es/

Tratamiento de la periimplantitis

Organiza: Ticare en colaboración con el Dr. Alberto Monje.

Imparte: Dr. Alberto Monje.

Fecha y lugar: 9 y 10 de mayo de 2025 en el Grupo de Estudios Murciano de Odontología. https://www.grupogemo.com/tratamiento-de-la-peri-implantitis/

Curso de elevación del seno maxilar

Organiza: BioHorizons Camlog.

Imparten: Dres. Jesús Ambrosiani Fernanández, Eugenia Asián González, Ignacio Fernández Asián y José Ignacio Vilches Pérez. Fecha y lugar: 4 de abril de 2025 en Sevilla. https://form.jotform.com/biohorizons/Curso-elevacion-seno-maxilar

Formación Exocad para clínicas dentales

Organiza: BEGO Iberia.

Imparte: Pere Colomina.

Fecha y lugar: diversas fechas en Madrid y Barcelona. Teléfono e e-mail: 933 720 325 - begoiberia@bego.com https://iberia.bego.com/

Intensivo en composites dentales

Organiza: SDI junto a Autrán Dental Academy. Fecha y lugar: 22 y 23 de mayo de 2025 en Madrid. https://www.autrandentalacademy.com/cursos/curso-mejora-tus-composites-en-2-dias/

–especialízate enOdontología

100% de empleabilidad

Máster en Especialización en Ortodoncia + Máster Universitario en Ortodoncia y Ortopedia Dentofacial (inglés o español)

Propio + Universitario | 3 años | Presencial

Máster en Cirugía Bucal + Máster en Cirugía Bucal e Implantología Bucofacial

Propio | 3 años | Presencial

Máster en Endodoncia (inglés o español)

Propio | 1 año | Presencial

Máster en Odontopediatría Integral

Propio | 2 años | Presencial

Máster en Especialización en Prótesis Avanzada

Propio | 2 años | Presencial

Cuando aprendes a crecer, nunca dejas de hacerlo.

POSGRADOS CEU

Manejo de recesiones gingivales y dehiscencias periimplantarias complejas con la Técnica VISTA

Organiza: BioHorizons Camlog y SEPA. Imparte: Dr. Alfonso Gil.

Fecha y lugar: 4 de abril de 2025 en Madrid. https://sepa.es/cursos/manejo-de-recesiones-gingivales-y-dehiscenciasperiimplantarias-complejas-con-la-tecnica-vista/

Título Experto Universitario en Endodoncia

Organiza: CEOdont.

Imparte: Dr. Juan Manuel Liñares Sixto. Fecha: de octubre de 2025 a febrero de 2026. Teléfonos e e-mail: 915 530 880 - 680 33 83 17 - cursos@ceodont.com www.ceodont.com

Formación sobre oseodensificación con las Fresas Densah

Organiza: Salugraft Dental. Imparte: Dr. Emilio Rodríguez.

Fecha y lugar: a lo largo del año en diferentes ciudades. E-mail: versah@salugraftdental.com https://salugraftdental.com/cursos/

VITA Rocks 2025

Organiza: VITA.

Aplicación clínica del avance mandibular para el tratamiento de la AOS

Organiza: Ortocervera - Instituto de Ortodoncia. Imparte: Dra. Mónica Simón Pardell. Fecha: libre elección de fecha de celebración. Teléfono: 915 541 029 www.ortocervera.com

Fecha y lugar: 30 y 31 de mayo de 2025 en Jérez de la Frontera. https://hs.vita-zahnfabrik.com/vitarocks2025

Estancia clínica en Calidental

Organiza: Calidental y BioHorizons Camlog. Imparte: Dr. Alberto González. Fecha y lugar: 2 de abril de 2025 en Mairena del Aljarafe. https://form.jotform.com/biohorizons/estancias-clinicas-Calidental

Toma de decisiones en endodoncias del día a día

Organiza: IPG Academy.

Imparten: el Dr. Luis Baroni y el Dr. Ricard Cardona. Fecha y lugar: 7 y 8 de marzo de 2025 en Zaragoza. www.ipgdental.com

Curso VarseoSmile TriniQ

Organiza: BEGO.

Imparte: Jorge Reyes.

Fecha y lugar: 21 de marzo de 2025 en Madrid. Teléfono e e-mail: 933 720 325 - begoiberia@bego.com https://iberia.bego.com/

El gradiente de color de los dientes naturales y su imitación inteligente

Organiza: GC Ibérica Dental.

Imparte: Stefan Roozen.

Fecha y lugar: 27 de junio de 2025 en Madrid.

Teléfono e e-mail: 916 364 340 - formacion@spain.gceurope.com https://europe.gc.dental/es-ES/education/courses

Open Day Osteógenos

Organiza: Osteógenos.

Imparte: Dr. Patrick Palacci

Summit GMI

Organiza: GMI.

Fecha y lugar: 13 de junio de 2025 en Madrid. Teléfono e e-mail: 914 133 714 - info@osteogenos.com https://www.osteogenos.com/curso/open-day-osteogenos-palacci/

Fecha y lugar: 2 y 3 de mayo de 2025 en Barcelona. Disfrutarás de cursos hands-on prácticos donde podrás perfeccionar técnicas avanzadas junto a expertos, además de conferencias de actuales líderes de la Odontología que te inspirarán a explorar nuevos horizontes clínicos. https://summitgmi25.com/

La impresión 3D al servicio de la cirugía guiada

Organiza: BEGO junto al al Colegio Oficial de Dentistas Pontevedra y Ourense.

Imparten: el Dr. Carlos León y Pere Colomina.

Fecha y lugar: 14 de marzo de 2025 en Ourense. Teléfono e e-mail: 986 864 449 - cooe36@colegiopontevedraourense.com https://colegiopontevedraourense.com/

Print&Drink de BEGO

Organiza: BEGO.

Fecha y lugar: 20 de marzo de 2025 en Barcelona.

Teléfono e e-mail: 933 720 325 - begoiberia@bego.com https://iberia.bego.com/

Inmersión en cirugía avanzada

Organiza: Ticare en colaboración con el Dr. Alberto Salgado. Imparte: Dr. Alberto Salgado. Fecha y lugar: a lo largo de 2025 en Salgado Dental Institute, Alicante. www.ticareimplants.com/formacion

Ácido hialurónico: nuevos usos en Odontología

Organiza: SEPA con la colaboración de Salugraft Dental.

Imparte: Dr. Samuel Oliván.

Fecha y lugar: 9 de abril de 2025 en formato online. https://salugraftdental.com/curso/webinar-sepa-samuel-olivan-acido-hialuroniconuevos-usos-odontologia/

Experto Universitario en Odontología Digital Clínica

Organiza: PgO UCAM con el Centro de Formación Learnning Donnay. Fecha y lugar: comenzará en mayo de 2025 en Vitoria-Gasteiz. E-mail: info@pgo-ucam.com https://www.pgoucam.com/home

Restauración funcional y estética del diente desgastado: diagnóstico,

técnica y

ajuste de férulas

Organiza: GC Ibérica Dental.

Dirige: Salvador Gallardo.

Fecha y lugar: 30 de mayo de 2025 en Las Rozas (Madrid).

Teléfono: 916 364 340

https://www.gc.dental/europe/es-ES

IV Congreso Knotgroup

Organiza: Knotgroup. Fecha y lugar: 13 de septiembre de 2025 en Alicante. https://knotgroupdentalcorporation.com/

Calendario de congresos

MARZO 2025

ALIGNEA Salamanca del 20 al 22

IDS Colonia (Alemania) del 25 al 29

SEOII Murcia del 27 al 29

AEBD Granada días 28 y 29

ABRIL 2025

SEOC Córdoba del 3 al 5

Barcelona Dental Show Barcelona días 10 y 11

MAYO 2025

SEOP Toledo del 8 al 10

SEDCYDO, SEMO, SEGER Madrid del 8 al 10

SEMO Materiales, SEDAO, SEOD Melilla días 23 y 24

SCOI Tarragona días 30 y 31

JUNIO 2025

SECOMCyC Santander del 5 al 7

SEdO Murcia del 11 al 14

IADR Barcelona del 25 al 28

SEPTIEMBRE 2025

SEdO Alineadores Zaragoza días 19 y 20

SEI Toledo del 25 al 27

OCTUBRE 2025

SEPES Bilbao del 9 al 11

HIDES Tenerife días 10 y 11

SESPO Madrid días 17 y 18

AEDE Alicante del 31 al 2

NOVIEMBRE 2025

SECIB Madrid días 7 y 8

SEOENE Sevilla del 14 al 16

ACADEN Granada del 14 al 16

OMD Oporto del 20 al 22

SEMDeS

San Lorenzo de El Escorial días 21 y 22

SEPA Barcelona del 26 al 29

Clic y listo

Adhese® Universal

VivaPen®

–Adhesión universal con una aplicación avanzada –Fuerza de adhesión siempre elevada (>25 MPa) sobre dentina humeda y seca – Dispensado económicamente gracias al eficiente VivaPen

Nuevo diseño fácil de usar

Oferta

Conexión NSK

Z990L REF. PA2373

Conexión KaVo® MULTIflex®

Z990KL REF. PA2375

• Cabezal en ángulo de 100° • Cuerpo de Titanio con DURAGRIP Resistente a arañazos • Rodamientos de Cerámica • Óptica de Vidrio Celular • Portafresas Push Botton • Spray Quattro • Sistema de Cabezal Limpio • Parada rápida • Microfiltro • DYNAMIC

• Tamaño del Cabezal: ø12,1 x H 12,7 mm

Z95L Con Luz 1:5

REF. C1034

• Clean Head System (Anti-Retorno) • Spray Switch (2 tipos de Spray: bruma y chorro) • Velocidad Máxima: 200.000 min-1

• Portafresas Push Button • Rodamientos de Cerámica • Microfiltro

Z25L Con Luz 1:1 REF. C1038

• Clean Head System (Anti-Retorno) • Spray Switch (2 tipos de Spray: bruma y chorro) • Velocidad Máx: 40.000 min-1 • Óptica de Vidrio Celular • Portafresas Push Button • Microfiltro • Para fresas CA (ø2,35)*

Ofertas Especiales

DESDE EL 1DE MARZO HASTA EL 31 DE AGOSTO DE 2025

iClave plus AUTOCLAVE DE CLASE B CON TECNOLOGÍA DE VANGUARDIA

MODELO iClave plus REF. Y1003077

3.499€* 8.448€*

* Paga durante 10 meses sin intereses

MAYOR SEGURIDAD

MAYOR CAPACIDAD

Su exclusivo sistema de calentamiento de tipo Calor Adaptativo permite alcanzar una temperatura uniforme en todo el interior de la cámara evitando dañar los instrumentos.

Cámara de 18 litros de capacidad con un volumen útil equivalente a un autoclave de 24 litros.

Cámara de cobre para una mayor eficacia térmica. Posee una conductividad térmica superior al 25% frente a las cámaras de acero.

Ergonómico: el sistema de bandejas especiales permite introducir un mayor número de piezas.

Rápido y seguro: su cámara de cobre ofrece una alta conductividad térmica en todo el tanque y por lo tanto los ciclos son más rápidos con un menor consumo energético.

Silencioso: ciclos de esterilización rápidos y silenciosos para tu clínica.

VITA Rocks 2025

Más de 25 ponentes

Gran exposición tecnológica ( + de 30 stands)

Conferencias / Talleres para Odontólogos & Protésicos, y mucho más…

En un entorno único (Bodega Gonzalez Byass) con música en directo

Se celebrará en:

Turn static files into dynamic content formats.

Create a flipbook
Issuu converts static files into: digital portfolios, online yearbooks, online catalogs, digital photo albums and more. Sign up and create your flipbook.