Tandlægebladet 9 - 2024

Page 1


Måske du kender til bekymringen om ikke at leve helt op til compliance-ansvaret

Med Complianter får du et individuelt tilpasset site med overblik over love og regler. Der etableres et setup med klinikkens arbejdsgange og logbøger, der sikrer, at alle kontroller og opgaver udføres og kan dokumenteres.

Vi holder dig opdateret på lovgivningen og er gerne ved din side ved tilsyn.

Læs mere på www.complianter.dk Book en demo på info@complianter.dk

Skal du med på den digitale bølge?

Den digitale bølge buldrer afsted! Siden 2021 er andelen af scan-ordrer hos Nordenta LAB steget fra 22% til 50%.

Du er i gode hænder hos Nordenta!

• Få hjælp til at vælge den rigtige scanner til dine behov.

Vi forhandler kvalitetsscannere fra Dentsply Sirona, Medit og SIMPLEE.

• Nordenta hjælper dig godt i gang

Vi hjælper med at installere, undervise og supportere klinikken i optimal brug af den valgte scanner.

• Kompetent support lige ved hånden

Hos Nordenta møder du et dygtigt hold af specialister, der er klar til at yde både klinisk og teknisk support.

Kom i gang med digital scan fra kun 49.500,-*

* Ekskl. PC. Se minimumskrav og anbefalinger på nordenta.dk

Vil du vide mere?

Jeg er klar til at hjælpe dig op og ride på

Kontakt CAD/CAM-konsulent 28 44 15 27

REDAKTION

Nils-Erik Fiehn Lektor, dr.odont. Ansvarshavende og faglig-videnskabelig redaktør nef@tdl.dk

Bjarne Klausen Tandlæge, dr.odont. Faglig konsulent

Sofie Dinesen Bramsen Studentermedhjælper, sdb@tdl.dk

FAGREDAKTION

Gitte Almer Nielsen Adm. redaktør, gan@tdl.dk

Anne Burlund Redaktionssekretær og journalist, abu@tdl.dk

Nanna Fløjborg Journalist, nfl@tdl.dk

Lorena Cruzado Grafisk designer, ldc@tdl.dk

Palle Holmstrup Professor, dr.odont. Søren Schou Specialtandlæge, dr.odont.

Lise-Lotte Kirkevang Professor, dr.odont.

DET VIDENSKABELIGE PANEL

Lene Baad-Hansen, Erik Dabelsteen, Jon E. Dahl, Anne Havemose-Poulsen, Nuno Hermann, Palle Holmstrup, Siri Beier Jensen, Mats Jontell, Lise-Lotte Kirkevang, Björn Klinge, Gulnoush Bahrami Møller, Anne Marie L. Pedersen, Søren Schou, Svante Twetman, Ann Wenzel, Esben Boeskov Øzhayat

MANUSKRIPTVEJLEDNING

Videnskabelige manuskripter sendes til den faglig-videnskabelige redaktør på nef@tdl.dk. Find i øvrigt Tandlægebladets manuskriptvejledninger på Tandlægebladet.dk under menupunktet “Om Tandlægebladet”

ANNONCER

Stillingsannoncer og kollegiale henvendelser: Marketingkonsulent Tina Andersen ta@tdl.dk Produkt- og leverandørannoncer varetages af DG Media, Heidi Dyhr, tlf. 2834 2921, Heidi.d@dgmedia.dk, www.dgmedia.dk

UDEBLIVER TANDLÆGEBLADET?

Klik ind på Tandlaegebladet.dk/reklamation eller skriv til tblevering@tdl.dk. Ved adresseændring skriv til medlemsregistrering@tdl.dk

UDGIVER

Tandlægeforeningen, Amaliegade 17, 1256 Kbh. K Tandlægebladet udkommer 12 gange årligt Distribueret oplag pr. nummer: 5.507

Medlem af Danske Medier

ISSN: 0039-9153

LAYOUT OG GRAFISK PRODUKTION

Lorena Cruzado (AD) vahle+nikolaisen (layout og tryk)

FORSIDE

Kåre Viemose

/743

REPORTAGE

Træk vejret

Mental robusthed og forebyggelse af stress og omsorgstræthed hos medarbejderne er kernen i et stort projekt, som ORIS Tandlægerne i Kolding deltager i.

Sådan fjerner du et filfragment

Denne guide giver dig et overblik over, hvad du skal tage stilling til, hvis du oplever en filfraktur, og hvordan du fjerner et filfragment.

/774

FAGSTAFET

”God undervisning kræver engagerede studerende”

Michael Svanholts arbejde som klinisk underviser har stor betydning for hans arbejdsglæde, fortæller han i denne måneds fagstafet.

VIDENSKAB & KLINIK

Faglig leder / 743

LÆGREID T, MULIC A

Adhæsion til eroderet tandsubstans / 744

PALLESEN U

Noninvasiv behandling af det slidte tandsæt med adhæsiv teknik / 748

TUVRØNNINGEN HS, RØNNEBERG A, BRUSEVOLD IJ, WIGEN TI

Protetisk behandling med adhæsiv teknik – et alternativ i ung alder? / 758

PALLESEN U

Adhæsiv behandling af ung patient med amelogenesis imperfecta / 764

LÆGREID T

Kompositfyldninger i udkanten af indikationsområdet / 770

FAST STOF

Leder / 728

Update / 730

Guide / 774

Medlemsservice / 786

Et døgn med / 804

/784

Vi har igen fået tænderne på finansloven

Alt for mange af vores børn og unge står på lange ventelister til tandregulering. Det giver udfordringer og frustrationer. Både hos tandlægerne i kommunerne og de mange forældre, hvis børn og unge i værste fald risikerer et dårligere behandlingsresultat, fordi de står på venteliste for længe. For det er alfa og omega, at vi retter børnenes tænder på det rigtige tidspunkt i forhold til væksten

Det er ikke noget nyt problem. Tandlægeforeningen har igennem mange år gjort politikerne opmærksomme på, at vi har brug for flere hænder til at imødekomme behandlingsbehovet. Ikke mindst fordi flere tandlæger forventes at gå på pension de kommende år

Derfor glæder jeg mig over, at politikerne har lyttet til os og igen sætter tænderne på finansloven. Helt konkret vil regeringen afsætte 38 mio. kr. til at oprette flere uddannelsesforløb på specialtandlægeuddannelsen i ortodonti i en årrække. Det er markant flere midler end tidligere og betyder to yderligere uddannelsesforløb, så der fremover optages 10 specialtandlæger i ortodonti årligt.

Selvfølgelig skal regeringens finanslovsforslag forhandles med de øvrige partier i Folketinget, men vi har tiltro til, at det går vores vej.

Det er naturligvis ikke noget quickfix. Der går nogle år, før vi mærker det ude i kommunerne. Men det er et stort skridt i den rigtige retning til på sigt at nedbringe de lange ventelister. Og Tandlægeforeningen vil naturligvis fastholde presset på politikerne, så de også i de kommende år prioriterer flere midler til området.

Det er naturligvis ikke noget quickfix

Jeg er helt overbevist om, at regeringens udspil skyldes en massiv lobbyindsats fra Tandlægeforeningen og Offentligt Ansatte Tandlægers Udvalg (OATU), der så sent som i juli måned opfordrede politikerne til at øge dimensioneringen af uddannelsen. Det er også den tilbagemelding, vi får fra flere ordførere, bl.a. fra Socialdemokratiet og Venstre. Det er ikke én persons værk, men resultatet af et vedvarende pres på mange fronter, hvor vi har gentaget budskabet igen og igen. I de traditionelle medier, på sociale medier og i den dialog, vi løbende har med politikere på Christiansborg. Og det kan kun ske, fordi vi er en stærk forening med dygtige og engagerede mennesker. Men det er også et godt eksempel på, at det faktisk nytter at engagere sig i fagpolitik. I disse uger løber regionsgeneralforsamlingerne af stablen, og jeg vil gerne opfordre dig til at dukke op og deltage i medlemsdemokratiet. Du kan blive klogere på, hvad der rører sig i din region. Du kan også være med til at diskutere, hvordan vi løser de udfordringer, som standen står over for, og til at bestemme, hvordan fremtidens tandlægeforening skal se ud. For Tandlægeforeningen er medlemmernes forening, så du er nødt til at blande dig, så vi sammen kan bestemme vejen frem. Og du behøver ikke at melde dig til et udvalg for at blive hørt. Du skal blot dukke op på din lokale regionsgeneralforsamling. Og hvem ved – måske bor der en fagpolitiker i dig?♦

for Tandlægeforeningen

Fik du ikke flyttet din klinikforsikring?

Du kan stadig nå at flytte til den nye løsøreforsikring i Gjensidige.

Scan QR-koden og udfyld formularen senest den 29. september

Så klarer vi resten for dig!

Har du spørgsmål eller ønsker du en pris på løsøreforsikringen?

Kontakt os på 3946 0080 eller web@tdlt.dk

Læs mere om løsøreforsikringen på www.tdlt.dk

FINANSLOV:

Flere specialtandlæger i ortodonti på vej

REGERINGEN VIL AFSÆTTE PENGE TIL AT UDDANNE FLERE

SPECIALTANDLÆGER I ORTODONTI. Både Tandlægeforeningen og Foreningen for Specialtandlæger i Ortodonti (FSO) roser forslaget. Begge foreninger savner dog ekstra midler til den pressede børne- og ungdomstandpleje i kommunerne.

mio. kr. over de næste fire år. Det vil regeringen afsætte til at opjustere antallet af uddannelsesforløb af specialtandlæger i ortodonti fra de nuværende otte til 10 om året. Forslaget kommer i regeringens forslag til en finanslov for 2025. Selv om initiativet ikke fremgår direkte af lovforslaget, er midlerne ifølge Indenrigs­ og Sundhedsministeriet en del af en pulje på 400 mio. kr., som er afsat til generelle initiativer på sundhedsområdet.

Glæde over forslag

Tandlægeforeningen har længe presset på for at få flere specialtandlæger i ortodonti, og formanden for offentligt ansatte tandlæger i Tandlægeforeningen, Stine Mørcholdt, er da også glad for regeringens tiltag.

– Det er et stort skridt i den rigtige retning i forhold til at få dækket de ledige stillinger i kommunerne. Men vi ser også ind i, at behovet for specialtandlæger bliver større i fremtiden. Det er klart, at vi bekymrer os om, hvorvidt det er tilstrækkeligt til at dække behovet. Det tager trods alt tre år at uddanne en specialtandlæge, siger Stine Mørcholdt. Formanden for Foreningen af Specialtandlæger i Ortodonti (FSO), Inge Aarslev, betegner også forslaget som en god nyhed.

– Det er godt for alle børn, unge og voksne i Danmark med et ortodontisk behandlingsbehov, og godt for alle de kommunalt ansatte specialtandlæger, der arbejder med lange ventelister. En af udfordringerne de næste år bliver så at få kommunerne til at forstå, at det kræver en højere normering af alle faggrupper på de kommunale tandreguleringsklinikker, hvis ventelisterne skal nedbringes, siger Inge Aarslev.

Hun peger også på, at universiteterne får gavn af, at der bliver uddannet flere specialtandlæger. I den forbindelse opfordrer hun til, at opjusteringen bliver fulgt op af flere midler til universiteterne.

– Vi har i Danmark en rigtig god videreuddannelse i ortodonti. Den hviler på et solidt forskningsfundament anerkendt i hele verden. Det skal styrkes, hvis vi fortsat skal kunne uddanne dygtige specialtandlæger, siger Inge Aarslev.

Savner ekstra penge til kommunerne

Det er et stort skridt i den rigtige retning

STINE MØRCHOLDT

Formand for OATU

Flere midler til universiteterne

Formanden for FSO pointerer, at et øget optag af specialtandlægestuderende forudsætter øget økonomi til de ortodontiske afdelinger på universiteterne. Flere studerende kræver flere kliniske vejledere og flere akademiske medarbejdere.

Regeringen lægger ikke umiddelbart op til at tilføre flere midler til en børneog ungdomstandpleje, som generelt er presset på kapaciteten efter udvidelsen af den vederlagsfrie tandpleje til de 18­21­årige. Det ærgrer både Inge Aarslev og Stine Mørcholdt: – Mange kommuner er presset efter udvidelsen af den vederlagsfri tandpleje til de 18­21­årige, som bl.a. øger behovet for dyrere behandlinger – herunder særligt fjernelse af visdomstænder. Derfor vil Tandlægeforeningen fortsætte med at kæmpe for flere penge til den kommunale tandpleje, siger Stine Mørcholdt.

Det er ikke lykkedes at få kommentarer fra indenrigs­ og sundhedsminister Sophie Løhde (V) inden deadline.♦

TEKST KIM ANDREASEN

NYUDDANNEDE TANDLÆGER:

Danmark under EU-gennemsnit

I 2021 dimitterede 13.938 tandlæger i EU, hvilket svarer til, at der blev uddannet 3,1 tandlæger pr. 100.000 indbyggere. Der er dog markant forskel på antallet af dimittender i de forskellige lande. Rumænien er det EU-land, der uddanner flest tandlæger med hele 10,1 tandlæger pr.100.000 indbyggere, mens Danmark skal findes en del længere nede på listen med 2,2 tandlæger. I bunden ligger Italien med 1,32 nyuddannede tandlæger pr.100.000 indbyggere.

Kilde: Eurostat

3,1

0 – 1,9

2 – 3,9

4 – 5,9

6 – 7,9

8 – 10 >10

STYRELSEN FOR PATIENTKLAGER:

Sådan fører du journal

STYRELSEN FOR PATIENTKLAGER har udgivet en praksissammenfatning om journalføring på tandområdet. Sammenfatningen, der er den første af sin slags, skal være med til at give mere klarhed over, hvad tandlægen skal dokumentere i journalen og hvordan. Sammenfatningen viser gennem en række cases styrelsens norm på konkrete områder. Det kan fx være, hvornår journalen skal skrives, hvad den skal indeholde, eller hvordan den skal opbevares.

25 %

Hver fjerde privatansat tandlæge har aftalt bedre barselsvilkår med deres arbejdsgiver end de vilkår, de har i henhold til lovgivningen.

Kilde: Tandlægeforeningens lønundersøgelse for privatansatte tandlæger 2023

Vores håb med forskningsprojektet er, at resultaterne kan hjælpe den enkelte dansker. Munden er ikke isoleret fra resten af kroppen, og derfor handler sygdomme i munden ikke kun om tænder, men om hele kroppen
CHRISTIAN

Lektor, Odontologisk Institut, Københavns Universitet

Christian Damgaard om det historisk store forskningsprojekt PlanPerioMed, som skal styrke evidens for sammenhængen mellem dårlig tandsundhed og udvikling af folkesygdomme som fx diabetes, leddegigt og hjerte-kar-sygdomme. Projektet er baseret på en database med 2,5 millioner elektroniske tandjournaler fra 2000-2023 og afsluttes den 30. august 2025.

Kilde: Videnskab.dk

Hjælp til unge nikotinafhængige

OPLEVER DU OGSÅ OFTE at få en patient i stolen med skader i mundhulen forårsaget af snus eller nikotinposer? En ny undersøgelse fra Tandlægeforeningen viser, at de røgfrie nikotinprodukter er meget populære blandt unge, og at knap 60 % af tandlæger oplever en stigning af mundhuleskader pga. nikotin. Vil du gerne hjælpe dine unge patienter til at lægge nikotinen på hylden, kan du få råd og vejledning på hjemmesiden www.myteromnikotin.dk. Her finder du viden om nikotin og inspiration til at tale med patienten om nikotinforbruget.

LÆR AF FEJLEN

Siden 2010 har det været lovpligtigt for tandlæger at rapportere utilsigtede hændelser (UTH) til Styrelsen for Patientsikkerhed. I alle fem regioner er der ansat risikomanagere, der arbejder med at øge patientsikkerheden på tandlægeområdet bl.a. ved at drage læring af utilsigtede hændelser og videreformidle denne læring til gavn for andre tandlæger. I samarbejde med regionernes risikomanagere deler vi på denne plads patienttilfælde, som er omskrevet, men baseret på lignende indrapporteringer. Du kan rapportere en UTH på dpsd.dk

30 år

Gennemsnitsalderen ved opnåelsen af tandlægeautorisation var 30 år i 2022. Det er en lille stigning siden 2014, hvor gennemsnitsalderen var 29 år.

Kilde: Sundhedsstyrelsens Tandplejeprognose 2023-2045

Knækket rodfil

i distal kanal -6

PATIENTTILFÆLDE

Patienten henvender sig på klinikken pga. akutte smerter fra -6. Der laves akut oplukning og findes tre kanaler. Ved udrensning i distale kanal for at finde endeligt rodmål knækker ca. 1-2 mm af fil 08 i kanalen. Patienten bliver informeret og henvist til specialtandlæge for videre behandling.

LÆRING

Det fremgår, at der er tale om en filstørrelse 08, altså den tyndeste fil, der findes. Ved flerrodede tænder med lange, krumme og/eller oblitererede (“tilgroede”) rodkanaler er risikoen for filfraktur højere.

Det anbefales derfor, at du anvender meget fleksible file, skyller kanalerne hyppigt undervejs og kasserer file, der udviser svaghedstegn (fx vrid eller buk på filens arbejdende del). Du bør desuden kassere de mindste file efter brug, da risiko for usynlige svagheder i disse er høj. Alternativt kan du henvise til en tandlæge med særlig kompetence inden for rodbehandling, hvis du vurderer, at en rodbehandling er særligt vanskelig.

Se også guiden "Sådan fjerner du et filfragment" på side 774.

Det spørger I om

Min arbejdsgiver er gået konkurs, og jeg har ikke fået min løn. Hvad gør jeg?

SVAR: Du kontakter Afdelingen for ansatte tandlæger, som på dine vegne kan anmelde dit lønkrav, feriepengekrav mv. til Lønmodtagernes Garantifond, som kan dække løn og feriepenge ved en arbejdsgivers konkurs.

Kontakt Tandlægeforeningen for rådgivning på tlf.: 70 25 77 11

Nyt fra Tdlnet

Sådan søger du TF’s forskningsmidler

Har du et forskningsprojekt

i støbeskeen, kan du nu søge økonomisk støtte fra tre fonde i Tandlægeforeningen Find overblik over fondene, ansøgningsskema og vejledninger på Tdl.net.dk, og ansøg senest 1. oktober.

TANDLÆGEFORENINGEN: KOMMENDE KURSER

SEPTEMBER

Vallensbæk

Hands on: Endo akut/revision

Tilmeldingsfrist: 26. september

København SV Pædodonti – det store overblik

Tilmeldingsfrist: 19. september

Aarhus C Symposium 2024

Tilmeldingsfrist: 28. oktober

Styrelsen for Patientklager: Sådan fører du journal

Finanslovsudspil: Klagesystem afvikles

Regeringen lægger i sit finanslovsudspil for 2025 op til, at klagesagssystemet for tandlæger i privat praksis bliver afviklet. Hvis forslaget vedtages, vil det ifølge TF’s oplysninger formentlig betyde, at patienter kun vil kunne klage gennem civilt søgsmål. Læs mere på Tdlnet.dk

Vidste du, at …

Du som leder, arbejdsmiljørepræsentant og tillidsrepræsentant indenfor det kommunale område kan melde dig til netværksforløb om psykologisk tryghed hos SPARK? Der starter to forløb i henholdsvis København i november og i Aalborg i januar 2025. Læs mere på Tdlnet.dk eller på Vpt.dk/spark.

Få tilskud til efteruddannelse

Den Kommunale Kompetencefond tilføres nye midler, der reserveres efter et ”først til mølle­princip”. Du kan søge om tilskud til uddannelsesgebyr, materialer og transportudgifter. Arbejdspladsen skal finansiere minimum 20 % af beløbet. Læs mere, og find link til ansøgningsskema på Tdlnet.dk.

DEN NYFORTOLKEDE HÆRDELAMPE

• 12 LED-chips i en 12,5 mm linse, som kan dække enhver tand

• Bredt spektrum på 380-515 nm, kan polymerisere alle lyshærdende dentalmaterialer

• Integreret sort lys (UV-ly) og hvidt lys (500K) til diagnostik

• Lav-profil lyslederhoved giver let adgang til posteriore restaureringer

Genial goodiebag

Når helbredet kræver hospitalsindlæggelse, forbliver tandbørsten desværre ofte tør i tandkruset. Det forsøger Mundplejeprojektet på Odense Universitetshospital nu at ændre på ved at uddele en lille taske til indlagte patienter, der indeholder tandbørste, tandpasta, tandtråd og et faktaark med viden om tandpleje.

Projektet er en del af et studie, hvor forskere fra Odense Universitetshospital (OUH), Syddansk Universitet og Professionshøjskolen Lillebælt i første del af studiet har identificeret, hvilke udfordringer der er i forhold til tandpleje og hospitalsindlæggelse. Gennem interviews med plejepersonale og patienter viste resultaterne bl.a., at tandplejen gled i baggrunden i forhold til andre plejeopgaver, og at der kunne være uklarhed om, hvorvidt patienten selv stod for tandbørstningen eller ej.

Ud fra konklusionen har forskerne og deltagerne sammen udviklet løsninger til at skabe en kulturændring på hospitalerne, hvor goodiebagen blev opfundet. Den bliver nu testet i studiets tredje og sidste fase, og indtil videre er over halvdelen af 1.000 goodiebags udleveret på fire sengeafdelinger på OUH. Foreløbige tilbagemeldinger viser, at både personale og patienter tager godt imod den, fortæller Charlotte Nielsen, der er en af forskerne bag studiet. ♦

Mere end 13.000 proteser bliver væk hvert år på

engelske plejehjem

Tandfeen har mange konkurrenter

På 69 % af institutionerne var der forsvundet proteser

DET KAN VÆRE ET ALVORLIGT sundhedsmæssigt og socialt problem, hvis man mister sine proteser, ikke mindst hvis man er plejehjemsbeboer og har svært ved at komme til tandlæge eller klinisk tandtekniker. Engelske forskere har i en spørgeskemaundersøgelse søgt at afdække problemets omfang. Et elektronisk spørgeskema med 16 spørgsmål blev besvaret af lederne af 156 engelske plejehjem. På 69 % af institutionerne var der forsvundet proteser inden for de foregående 24 måneder, og 16 % angav, at der var mistet mere end fem proteser i perioden. Godt halvdelen af proteserne blev væk på selve plejehjemmet, mens de øvrige mistedes under hospitalsindlæggelser eller ekskursioner uden for institutionen. I 74 % af tilfældene blev proteserne aldrig genfundet. Hvis man ekstrapolerer resultaterne til de i alt 15.000 plejehjem, der findes i England, er der hvert år 13.791 proteser, der bliver væk, og 10.205 af disse dukker aldrig op igen. Forfatterne anslår, at det vi koste det engelske samfund mindst 3 mio. GBP (ca. 30 mio. kr.) om året at erstatte de tabte proteser. 68 % af respondenterne angav, at det var problematisk eller nærmest umuligt at få arrangeret tandlægebesøg for de mest sårbare beboere.

Forfatterne foreslår forskellige tiltag, som kan afhjælpe problemet, fx bedre uddannelse af plejehjemspersonalet, identitetsmærkning af proteserne og scanning af proteser efter fremstillingen, så der senere kan fremstilles en 3D-printet erstatningsprotese.

MANGE DANSKE BØRN HAR GENNEM TIDEN lagt deres fældede primære tænder under hovedpuden som gave til tandfeen, og det samme har norske, britiske og amerikanske børn. Men ifølge en systematisk oversigt, som amerikanske forskere har udarbejdet, er håndteringen af fældede tænder kulturelt betinget, og tandfeen er langtfra ene på markedet. Fx er det i Frankrig, Italien og en række spansktalende lande en mus, der kommer og henter den tand, der er lagt under puden. Andre kulturer har helt andre skikke. Mange nordamerikanske oprindelige folkeslag kaster tanden bort i en eller anden retning, der fx kan være mod øst eller vest, mod månen eller solen, over huset eller bare over skulderen. Verden rundt er der mange andre retninger, tænderne kan blive kastet i, fx op i luften (Iran, Østrig), mod ens fødested (aboriginere i Australien), op på hustaget (Ghana, Vietnam, Grækenland), i havet (Libanon), i en flod (Indien, maorier i New Zealand), i hønsegården (Mali), i skoven (England), i ildstedet (Sverige, Finland, Sibirien) eller sågar i toilettet (Japan).

Man kan også vælge at gemme tænderne, fx i et musehul (Bangladesh, Mexico), i et træ (bengafolket i Gabon) eller under en drægtig ko (Tyrkiet). Børn i ESwatini (tidligere Swaziland) gemmer tanden i deres sko natten over og forventer ligesom danske børn at få en kontant modydelse – i form af slik.

Begravelse af tænderne er også en udbredt tradition. De kan ske i familiegravstedet (New Guinea), under et træ sammen med nogle af barnets hovedhår (Tjekkiet, Slovakiet), under en salviebusk (navajofolket) eller under stuegulvet (Korea).

I Afghanistan og Mongoliet samt på De Kanariske Øer fodrer man husdyr med de eksfolierede tænder.

Endelig har man tidligere i Australien og USA haft den ejendommelige skik, at barnets mor findeler tanden i en morter, blander pulveret i frikadellefarsen – og spiser det.

Archer N, Jayawardena DS, Wong J et al. The prevalence of denture loss within community residential settings. Br Dent J 2024. https://doi. org/10.1038/s41415-023-6714-8 [Online ahead of print].

Parsons CLB, Mountain RV, Jacobsson K et al. Cultural diversity of traditions for the disposal of exfoliated teeth: Implications for researchers. Community Dent Oral Epidemiol. 2024;52:139-49.

God prognose for zirkoniaimplantater uanset længde og diameter

ZIRKONIAIMPLANTATER HAR I DE SENERE ÅR vundet stigende udbredelse som et alternativ til titaniumimplantater. Zirkonia er sammenligneligt med titanium med hensyn til mekaniske og biologiske egenskaber samt osseointegration.

En forskergruppe fra Malmö Universitet har i en systematisk oversigt vurderet overlevelsesraten for zirkoniaimplantater med forskellige udformninger. Oversigten er baseret på fire ikke-randomiserede kliniske studier med lav til moderat risiko for bias. I studierne indgik i alt 902 enkelttandsimplantater fordelt på 438 patienter. 894 af implantaterne kunne observeres i fem år.

Overlevelsesraten i studierne lå fra 95 % til 98,4 %. Der var ikke signifikant forskel på overlevelsesraten for implantater med længderne 8 mm, 10 mm, 12 mm og 14 mm. Heller ikke implantaternes diameter (4,0 mm, 4,5 mm eller 5,5 mm) havde nogen betydning for overlevelsesraten. Til gengæld havde ruheden en betydning, idet implantater med syreætsede overflader og en Ra-værdi på 1,16 µm havde bedre overlevelse end implantater, der var coatet med bioaktivt keram og havde en Ra-værdi på 0,9 µm.

Forfatterne betegner de kliniske resultater med zirkoniaimplantater med de nævnte længder og diametre som lovende. De anfører desuden, at zirkoniaimplantater med syreætsede overflader bør foretrækkes.

PROFESSOR, DR.ODONT. ASBJØRN JOKSTAD Universitetet i Tromsø, Norge

– Forfatterne har udført et imponerende arbejde med at finde artikler, som beskriver kliniske studier om betydningen af udformning og overfladebehandling af tandimplantater fremstillet i zirkoniumdioxid. Siden 2004 har der været 96 forskellige systemer på markedet, hvoraf ca. en tredjedel er kommercielt tilgængelige i dag. Oversigtsartiklen er udformet i overensstemmelse med gældende retningslinjer, og der præsenteres desuden udførlige detaljer fra 27 kliniske studier. Trods dette kan konklusionerne diskuteres, da konfundering er vurderet som kritisk for 23 studier og moderat for de fire tilbageværende. Den første af disse er forfattet af familievirksomheden, som producerede implantaterne (Ceraroot), hvilket ikke bliver deklareret i artiklen. De fleste ville nok definere dette forhold som en interessekonflikt. De tre næste artikler beskriver et implantatsystem fra VITA i Tyskland, som under IDS-messen i 2023 oplyste, at de har afsluttet al produktion af zirkoniumdioxid-tandimplantater. Konklusionen ”Promising 5-year clinical outcomes” er i overensstemmelse med konklusionen fra den seneste ITIkonsensuskonference i 2023. Derimod er udsagnet ”acidetched roughened implant surface may be preferable” kun i ringe grad begrundet i de data, der præsenteres i denne oversigtsartikel.

Overlevelsesraten i studierne lå fra 95 % til 98,4%

Gul A, Papia E, Naimi-Akbar A et al. Zirconia dental implants; the relationship between design and clinical outcome: A systematic review. J Dent 2024;143:104903.

kommentar

Ens kliniske resultater med abutments af zirkonia og titanium

ABUTMENTS OG KRONER AF ZIRKONIA har vundet indpas som et mere kosmetisk alternativ til metalkeramiske kroner og abutments af metal, og ifølge et studie, som forskere fra Københavns Universitet (Odontologisk Institut) og Rigshospitalet (Afdeling for Kæbekirurgi) har publiceret, er de kliniske resultater med zirkonia lige så gode som med de velkendte materialer.

I et klinisk prospektivt studie med fem års observationstid indgik 59 patienter med agenesi af en eller flere tænder. De fik i alt indsat 89 implantater, som understøttede 50 zirkoniaabutments med helkeramiske kroner og 39 metalabutments (titanium eller guld) med 29 metalkeramiske og 10 helkeramiske kroner.

Alle implantater og 96 % af restaureringerne var i funktion efter fem år, og der var ingen klinisk relevante forskelle i tekniske komplikationer, gingival blødning, pochedybde eller marginalt knogleniveau mellem restaureringer baseret på henholdsvis metal- eller zirkoniaabutments. Metalkeramiske kroner havde signifikant bedre kanttilslutning end helkeramiske kroner (P = 0,01), mens keramiske kroner havde signifikant bedre kosmetiske resultater end metalkeramiske kroner (P = 0,01).

Forfatterne konkluderer, at zirkoniabaserede enkelttandsrestaureringer er et godt og pålideligt alternativ til metalbaserede restaureringer, da de æstetiske egenskaber er gode, og der kun er få tekniske komplikationer.

Hold øje med ektopiske hjørnetænder i overkæben

EKTOPISK LEJREDE HJØRNETÆNDER I OVERKÆBEN kan give anledning til rodresorption på nabotænderne, typisk de laterale incisiver. Et forskerhold fra Aarhus Universitet har i et retrospektivt kohortestudie undersøgt sammenhænge mellem ektopiske hjørnetænder i overkæben og rodresorption på nabotænder.

Studiet baserer sig på populationsbaserede journaldata vedrørende 244 ektopiske overkæbehjørnetænder, der i 2012 blev diagnosticeret ved ortodontisk visitation i Aarhus Kommune blandt godt 20.000 børn født i årene 1993-2005. Prævalensen for ektopiske hjørnetænder blev beregnet til 0,8 %, og i 9,4 % af tilfældene blev der konstateret alvorlig rodresorption på incisiverne. Rettidig palpationsundersøgelse for ektopisk hjørnetandsfrembrud reducerede risikoen for rodresorption med 80 %. I tilfælde, hvor den permanente hjørnetand ikke kunne palperes, og den primære hjørnetand var fældet eller ekstraheret, viste en regressionsanalyse, at risikoen for rodresorption (odds ratio) steg med 38 % for hvert år, røntgenundersøgelse blev udskudt efter 10-årsalderen. På baggrund af undersøgelsens resultater anbefaler forfatterne, at man palperer og registrerer erupterende hjørnetænder i overkæben, når patienten er 9-10 år gammel, og tager supplerende røntgenoptagelse så hurtigt derefter som muligt, hvis den kliniske undersøgelse giver mistanke om ektopisk frembrud af hjørnetanden.

Rettidig palpationsundersøgelse for ektopisk hjørnetandsfrembrud reducerede risikoen for rodresorption med 80 %

Hosseini M, Worsaae N, Gotfredsen K. Survival rate of implant-supported, single-tooth restorations based on zirconia or metal abutment in patients with tooth agenesis: a 5-years prospective clinical study. J Evid Base Dent Pract 2024:101970. https://doi.org/10.1016/j. jebdp.2024.101970 [Online ahead of print].

Botticelli S, Byriel T, Stoustrup P, Cattaneo PM, Küseler A. Apical incisor root resorption due to ectopic maxillary canine eruption: Association with time of diagnosis and type of intervention in a retrospective populationbased cohort study. Orthod Craniofac Res 2024;27:165-73.

NO. 1,

I EFFEKTIVITET OG SMAG

• Effektivt – Hurtig desensibilisering og fluoridfrigivelse (5 % NaF ≙ 22.600 ppm fluorid)

• Let at applicere – fugttolerant

• Æstetisk – Tandfarvet lak

• Universal – i tube, SingleDose eller tubule

• Smagsvariationerne – mint, karamel, melon, kirsebær, bubble gum, cola lime og pina colada

VOCO Profluorid® Varnish

Emalje- og dentinadhæsiver til direkte restaureringer – del 2

I forrige nummer af Tandlægebladet bragtes første del af temaet om adhæsiver og adhæsivteknikker, som publiceres parallelt i Den norske Tannlegeforenings Tidende. Der bragtes tre oversigtsartikler og en kasuistik, hvor behandling af rodcaries med adhæsivteknik illustreredes.

I dette nummer publiceres anden del med yderligere fem artikler, hvor adhæsivteknik kan anvendes i forskellige kliniske behandlingssituationer. Det helt centrale er – gennem brug af adhæsivteknikker – at spare tandsubstans ved noninvasiv og minimal invasiv behandling. Dette illustreres ved specielle behandlingstyper som eroderet og slidt tandsubstans, anvendelse af laminater ved tandudviklingsforstyrrelser på

børne- og unge patienter og ved behandling af amelogenesis imperfecta.

Den sidste kasuistik drejer sig om anvendelse af kompositfyldninger i udkanten af indikationsområdet, hvor fugtighedsproblemer og korrekt anatomisk udformning af restaurering er en udfordring.

NILS-ERIK FIEHN

Ansvarshavende og fagligvidenskabelig redaktør

ABSTRACT

BAGGRUND – Dental erosion er en udbredt form for tandslid og er en følgetilstand ved eksponering af ikkebakterielle syrer. Hvis andre tiltag ikke resulterer i den ønskede effekt, kan det være nødvendigt med en restaurativ behandling af disse tandskader. En minimalt invasiv procedure med anvendelse af adhæsiver og direkte appliceret komposit er blevet stadigt mere aktuel.

PATIENTTILFÆLDE – En sund og rask 40-årig mand henvender sig med bekymring for både æstetik og symptomer fra sine tænder. Klinisk undersøgelse viser erosionsdefekter okklusalt/incisalt på samtlige tænder fra 6’er til 6’er i over- og underkæbe. Skaderne strækker sig tydeligt ind i dentin. Der planlægges en restaurativ behandling med komposit uden ændring af okklusal-vertikal dimension. De afficerede dentinoverflader bliver gjort ru med en grov diamant, ellers bliver der ikke foretaget nogen form for kavitetspræparation. Kofferdam bliver benyttet, og adhæsivet påføres med en æts-og-skylstrategi. Tænderne bliver derefter bygget op med komposit.

KONKLUSION – Bindingsstyrken til en eroderet emaljeoverflade er ikke forskellig fra en intakt emaljeoverflade, men bindingsstyrken til eroderet dentin er dårligere end til intakt dentin, og derfor er det velbegrundet at gøre dentinoverfladen ru med en grov diamant før adhæsiv behandling.

EMNEORD Dental bonding | dental enamel | dentin | tooth erosion

Adhæsion til eroderet tandsubstans

TORGILS LÆGREID, førsteamanuensis, tandlæge, ph.d., Institutt for klinisk odontologi, Universitetet i Bergen

AIDA MULIC, professor, seniorforsker, tandlæge, ph.d., Nordisk Institutt for Odontologiske Materialer (NIOM)

Accepteret til publikation den 18. april 2024 Tandlægebladet 2024;128:744-7

DENTAL EROSION REGNES I VESTLIGE LANDE FOR AT VÆRE DEN HYPPIGSTE ÅRSAG TIL TANDSLID (1) og er en følgetilstand ved eksponering af ikkebakterielle syrer fra enten mave (reflux), fødevarer eller andre ydre kilder (2). Prævalensangivelser svinger mellem 4 % og 100 % (3) i den voksne befolkning, men tal fra Norge antyder, at forekomsten er op imod 60 % (4). Erosion optræder ofte sammen med andre former for tandslid (fx attrition og abrasion).

Hvis tidlig diagnostik, livsstilsændringer og forebyggende tiltag ikke fører til den ønskede effekt, kan det være nødvendigt at foretage en restaurativ behandling af erosionsskaderne. Et studie fra Skotland viste, at hovedårsagerne til en restaurativ behandling var henholdsvis æstetik (54 %), symptomer (25 %) og funktionelle problemer (12 %) (5). Det er velkendt, at patienter ofte venter med at søge tandlæge, til erosionslæsionerne er blevet så alvorlige, at behovet for operativ behandling for længst er til stede (6).

Korrespondanceansvarlig førsteforfatter: TORGILS LÆGREID torgils.lagreid@uib.no

Ved restaurativ behandling af erosionsskader er det et overordnet mål at arbejde minimalt invasivt. Hvor det er muligt, anbefales det at vælge en adhæsiv og additiv tilgang fremfor mere invasive metoder, som er forbundet med højere risiko for pulpaskader og tab af kritisk tandsubstans (7). Det vil sige, at en additiv behandling med direkte appliceret komposit oftere bliver valgt i stedet for mere invasive restaureringsmetoder som kronepræparation.

Denne kasuistik vil diskutere anvendelsen af diverse adhæsionsstrategier i forbindelse med restaurering af eroderede tandoverflader.

PATIENTTILFÆLDET

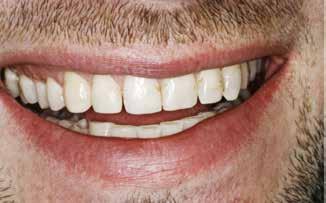
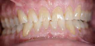
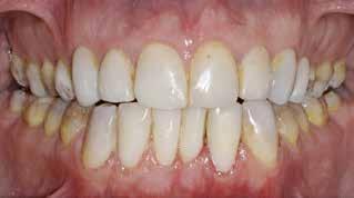
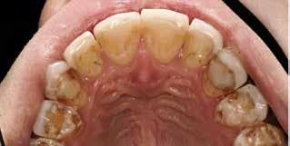
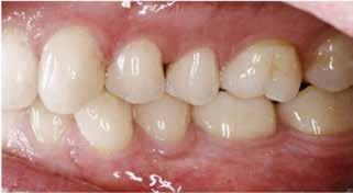
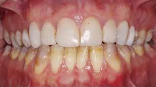
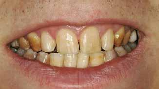
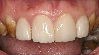
En 40 år gammel mand henvendte sig med bekymring for både æstetik og symptomer fra tænderne (Fig. 1). Han fortalte, at

Præoperativ status

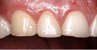
Fig. 1. 40-årig sund og rask mand møder bekymret for sine slidte tænder. Klinisk ses frakturer og substanstab langs incisalkanterne på overkæbetænderne.

Fig. 1. A 40-year-old healthy man is concerned for his worn teeth. Clinically, fractures and loss of tooth substance are observed at the incisal edge of the upper front teeth.

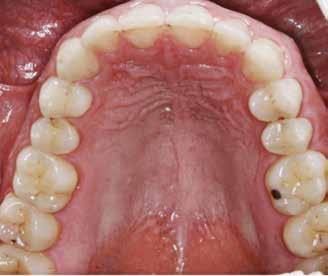
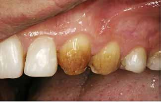
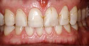
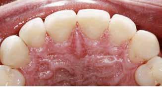
Okklusalt billede af A) over- og B) underkæbe

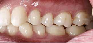
2. Klinisk ses tydelig slitage ind i dentinen på samtlige tænder fra 6’er til 6’er i begge kæber.

Fig. 2. Clinically, extensive wear into the dentin of all teeth in both jaws is observed.

klinisk relevans

Ved en minimalt invasiv restaurativ behandling af erosionsskadede tænder er det vigtigt at opnå en god og holdbar adhæsion mellem restaureringsmaterialet og tandsubstansen. En erosionspåvirket tandoverflade bør forbehandles på en anden måde end ved adhæsion til en upåvirket overflade. Dette gælder især dentin, som bør gøres ru før applicering af adhæsiv.

han de seneste år havde mærket, at tænderne var blevet kortere og mere takkede, og han mærkede isninger ved indtagelse af kolde drikke. Han oplyste, at han i mange år havde drukket coca-cola dagligt, og at han skar tænder. Ellers var han sund og rask, og han havde normal salivaproduktion.

Klinisk undersøgelse viste et tandsæt med enkelte restaureringer, men med slitagedefekter okklusalt/incisalt på samtlige tænder fra 6’er til 6’er i over- og underkæbe (Fig. 2). Defekterne strakte sig tydeligt ind i dentinen. Baseret på anamnesen og de kliniske fund blev erosion set som hovedårsagen til tandsliddet, mens attrition formodedes at være en medvirkende faktor.

Grundet betydeligt tab af emalje, blotlagt dentin, hypersensitivitet samt nedsat funktion og æstetik blev der planlagt en restaurativ behandling med komposit uden ændring af den

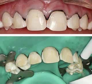
Fugtighedskontrol

Fig. 3. Kofferdam blev anlagt sektionsvis for at opnå god fugtighedskontrol. Fig. 3. Rubber dam was applied section wise to achieve appropriate moisture control.

Fig.

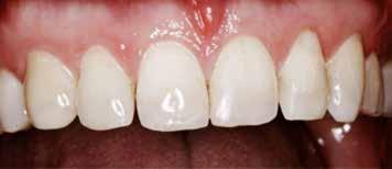
Postoperativ status

okklusal-vertikale dimension. De afficerede dentinoverflader blev ridset i overfladen med en grov diamant, men derudover blev der ikke foretaget nogen form for kavitetspræparation, da intentionen var at gennemføre en minimalt invasiv behandlingstilgang. Kofferdam blev anlagt i hvert arbejdsfelt (Fig. 3) og adhæsivet påført med en æts-og-skyl-strategi (ætsning af emalje og dentin, primer, adhæsiv). Derefter blev tænderne bygget op med en mikrohybrid komposit for at genskabe tandens naturlige form (Fig. 4). I underkæbefronten blev der kun lagt et tyndt lag med komposit pga. pladsmangel. Efter omhyggelig pudsning og polering havde patienten okklusion på samtlige tænder og var tilfreds med både funktion og æstetik.

DISKUSSION

Den kliniske holdbarhed for direkte kompositopbygninger ved rehabilitering af alvorligt tandslid har vist sig at være god, både med og uden forøgelse af den vertikale okklusionsdimension (8,9). Den hyppigste årsag til svigt viser sig at være fraktur eller chipping af restaureringerne. Udover de mekaniske egenskaber ved selve restaureringsmaterialet er også kvaliteten på adhæsionen til tandsubstansen kritisk.

Bindingsstyrken til en eroderet emaljeoverflade er ikke forskellig fra en intakt emaljeoverflade uanset adhæsionsstrategi (æts-og-skyl vs. selvætsende) (10). Dette kan forklares med, at erosion på emalje danner en overfladestruktur, som ligner det overfladerelief, man ser efter ætsning med fosforsyre. De selvætsende adhæsiver udnytter dette, og bindestyrken til emalje

er sammenlignelig med æts-og-skyl-adhæsiver (med fosforsyreætsning) (11).

Eroderede dentinoverflader er derimod karakteriseret ved en dyb demineralisering og blotlægning af et tæt og uorganiseret netværk af kollagenfibre, hvilket vil hindre en fuldgod infiltration af adhæsivet ned imod den underliggende og mere mineraliserede dentin. Dette vil ydermere føre til en dårligere bindingsstyrke. Af denne grund anbefales det at gøre overfladen ru med en grov diamant ved adhæsion til eroderet dentin (10,12,13). En række andre overfladebehandlinger har også vist sig at forbedre bindingsstyrken til eroderet dentin, fx anvendelse af natriumhypoklorit, sølvdiaminfluorid og laser (10).

Som ved emalje ser valget af adhæsivstrategi (æts-og-skyl vs. selvætsende bindingsmidler) ikke ud til at påvirke bindingsstyrken til eroderet dentin (10). En undtagelse er dog sklerotiseret dentin, idet studier viser en fordel ved at ætse dentinen som supplement til mekanisk ridsning af overfladen (14). Dentinsklerose er en følgetilstand, når den erosive proces har forløbet over lang tid, og kendetegnes ved et hypermineraliseret overfladelag og fortætning af dentintubuli.

Restaurering af et slidt tandsæt ved hjælp af adhæsiv teknik og direkte komposit er tidkrævende og teknisk udfordrende. Det kræver gode procedurer at opretholde en nødvendig og god intraoral fugtighedskontrol over længere tid. Anvendelse af kofferdam er i disse tilfælde et godt hjælpemiddel, som giver god isolation af arbejdsfeltet. Ulemperne er, at operatøren mister overblikket over hele tandsættet og ikke er i stand til at kontrollere okklusion og relation til andre tænder undervejs i behandlingen. Løsningen kan da være at montere kofferdamdugen og restaurere tænder sektionsvis med kontrol af relationer indimellem (Fig. 3).

Formålet med behandlingen af erosioner er at begrænse yderligere progression af substanstabet, forhindre, at nye erosionslæsioner opstår, og reducere eventuelle symptomer som isninger. Det er helt afgørende for gode resultater, at man som kliniker vælger den mindst invasive behandling, og at den bør ledsages af forebyggende tiltag. Det er helt essentielt at gøre en indsats for at styrke patienternes viden om emnet og om nødvendigt motivere til livsstilsændringer ud fra et odontologisk og generelt sundhedsfagligt perspektiv.

SAMTYKKE

Patienten har givet tilladelse til at publicere billederne.

Fig. 4. Færdigrestaurerede tænder med komposit.
Fig. 4. Final restored teeth with composite.

ABSTRACT (ENGLISH)

ADHESION TO ERODED TOOTH SURFACE AND DENTIN

BACKGROUND – Dental erosion is a common form of tooth wear and is a clinical consequence of exposure to non-bacterial acids. Restorative treatment may often be necessary in these patients, and a minimally invasive approach with adhesives and directly applied composite is becoming more common.

CASE STUDY – A 40-year-old healthy man presented with concerns about both aesthetics and symptoms from his teeth. Clinical examination revealed occlusal/incisal erosion defects on all teeth in the upper and lower jaw. The defects clearly extended into dentin. A restorative treatment with

LITTERATUR

1. Bartlett DW. The role of erosion in tooth wear: aetiology, prevention and management. Int Dent J 2005;55:277-84.

2. Leven A, Ashley M. Epidemiology, aetiology and prevention of tooth wear. Br Dent J 2023;234:439-44.

3. Jaeggi T, Lussi A. Prevalence, incidence and distribution of erosion. Monogr Oral Sci 2014;25:55-73.

4. Stenhagen KR, Berntsen I, Ødegaard M et al. Has the prevalence and severity of dental erosion in Norway changed during the last 30 years? Eur J Paediatr Dent 2017;18:177-82.

5. Ahmed KE, Murray CA, Whitters CH. A prospective survey of

secondary care tooth wear referrals: demographics, reasons for concern and referral outcomes. Br Dent J 2014;216:E9.

6. Ganss C, Lussi A. Diagnosis of erosive tooth wear. Monogr Oral Sci 2006;20:32-43.

7. Mehta SB, Banerji S, Millar BJ et al. Current concepts on the management of tooth wear: part 4. An overview of the restorative techniques and dental materials commonly applied for the management of tooth wear. Br Dent J 2012;212:169-77.

8. Hamburger JT, Opdam NJ, Bronkhorst EM et al. Clinical performance of direct composite restorations for treatment of severe

composite was planned without changing the occlusal-vertical dimension. The affected dentin surfaces were roughened with a coarse diamond, without further cavity preparation. A rubber dam was used and the adhesive applied with an etchand-rinse strategy, and restored with composite.

CONCLUSION – The bond strength to an eroded enamel surface is not different from an intact enamel surface, regardless of adhesion strategy. However, the bond strength to eroded dentin is poorer than that of healthy dentin. Hence, it is recommended to roughen up the dentin surface with a coarse diamond before adhesive treatment.

tooth wear. J Adhes Dent 2011;13: 585-93.

9. Loomans BAC, Kreulen CM, HuijsVisser HECE et al. Clinical performance of full rehabilitations with direct composite in severe tooth wear patients: 3.5 years results. J Dent 2018;70:97-103.

10. Wiegand A, Lechte C, Kanzow P. Adhesion to eroded enamel and dentin: systematic review and meta-analysis. Dent Mater 2021;37:1845-53.

11. Erickson RL, Barkmeier WW, Kimmes NS. Bond strength of self-etch adhesives to preetched enamel. Dent Mater 2009;25:1187-94.

12. Zimmerli B, De Munck J, Lussi A et al. Long-term bonding to eroded dentin requires superficial bur preparation. Clin Oral Invest 2012;16:1451-61.

13. Attin T, Wegehaupt FJ. Impact of erosive conditions on toothcolored restorative materials. Dent mater 2014;30:43-9.

14. Mahn E, Rousson V, Heintze S. Meta-analysis of the influence of bonding parameters on the clinical outcome of tooth-colored cervical restorations. J Adhes Dent 2015;17:391-403.

ABSTRACT

Adhæsiv teknik har i dag gjort det muligt i mange tilfælde at kunne behandle patologisk slidte tænder med behov for bidhævning uden anvendelse af invasive og kostbare indirekte restaureringer. Denne artikel gennemgår forskellige former for tandslid; det diskuteres, hvornår der er indikation for restaurerende behandling, og hvordan en strategi for behandling lægges. Dernæst vises et klinisk eksempel på behandling af patologisk anteriort tandslid med anvendelse af direkte plast, hvor mindre erosionsskader på øvrige tænder behandles med forebyggende tiltag og overvågning. Før behandling med bidhævning blev der ikke anvendt bidskinne som tilvænning, men udført bidhævning umiddelbart ad modum Bjørn Dahl med adhæsiv plastteknik som fast skinne. Æstetikken blev tilgodeset ved anvendelse af lagteknik med plast i emalje- og dentinfarver. Patienten oplevede kun mindre gener efter bidhævning de første uger efter behandling i form af let ømhed i tænder, muskler og led samt nedsat tyggefunktion. Posterior okklusion efter bidhævning kom gradvist inden for de første tre måneder. Behandlingen blev fulgt over 10 år, hvor plasten blev let vedligeholdt undervejs.

Noninvasiv behandling af det slidte tandsæt med adhæsiv teknik

ULLA PALLESEN, overtandlæge, Odontologisk Institut, Københavns Universitet, Danmark

Accepteret til publikation den 15. december 2023

Tandlægebladet 2024;128:748-56

ADHÆSIV TEKNIK HAR I DAG GJORT DET MULIGT at udføre restaurerende behandling, hvor der tages biologiske hensyn, så tandsubstans bevares og pulpa og gingiva beskyttes. Det gælder også, når kraftigt slidte tænder skal genopbygges, hvor behandling med indirekte restaureringer oftest har været den valgte løsning. I denne artikel indledes med en gennemgang af forskellige former for tandslid; der diskuteres, hvornår der er indikation for restaurerende behandling, og hvordan en behandlingsstrategi kan lægges. Dernæst gennemgås og illustreres, hvordan en patient med stort lokalt slid i fronten behandles noninvasivt med bidhævning ad modum Bjørn Dahl med adhæsivteknikkens funktionelle og æstetiske muligheder. Endelig bliver behandlingen fulgt over 10 år.

TANDSLID OG INDIKATION

FOR RESTAURERENDE BEHANDLING

Korrespondanceansvarlig forfatter: ULLA PALLESEN ul@sund.ku.dk

Alvorligt tandslid er en betegnelse, der beskriver, hvor meget tandsubstans der er forsvundet, hvilket ikke er ensbetydende med, at det er behandlingskrævende. Alle tænder slides under funktion, og ældre mennesker kan sagtens have et alvorligt tandslid, uden det er behandlingskrævende (1) (Faktaboks 1). Patologisk tandslid beskriver derimod, at sliddet er atypisk for patientens alder og kan give anledning til smerte eller ubehag eller funktionelle og æstetiske problemer for patienten. I visse tilfælde vil et sådant tandslid, hvor der er progression, også kunne give anledning til uønskede komplikationer som fx endodontisk behandling eller funktionsforstyrrelser (1) (Faktaboks 1).

Beslutning om restaurerende behandling af tandslid må derfor tages i nært samråd med patienten, hvor fokus i før-

EMNEORD Tooth wear | composite resin | bite elevation | technique, Bjorn Dahl

ste omgang sættes på forebyggelse og vurdering af eventuel progression af sliddet over tid. Den enkelte patient skal have et reelt behov/ønske om at blive behandlet, før en større behandling sættes i gang. Det er vigtigt med god information om de ulemper, der er forbundet med behandlingen både umiddelbart, men også på sigt, når reparation eller omlavning bliver nødvendigt. Endelig må patienten være indstillet på, at nye bidforhold kræver tilvænning. Det er derfor godt at anvende god tid til sammen med patienten at planlægge en sådan større behandling.

FAKTABOKS 1

Alvorligt tandslid:

Defineres som substantiel mistet tandsubstans med eksponering af dentin og signifikant tab (> 1/3) af den kliniske krone.

Patologisk tandslid:

Er atypisk for patientens alder og giver anledning til smerte/ubehag eller funktionelle/æstetiske problemer, og som – hvis progression – kan give anledning til uønskede komplikationer af øget kompleksitet.

BEHANDLINGSVALG

Der findes mange former for restaurerende behandlinger, og her må behandler og patient forholde sig til, om behandlingen skal være med kroner/onlays (såkaldt subtraktiv behandling), hvor der præpareres i tandsubstans, eller om direkte plast (additiv behandling) uden præparation er valget (Faktaboks 2).

Subtraktiv behandling

Substraktiv behandling har den fordel, at de anvendte materialer har gode mekaniske egenskaber, og at æstetikken med keramik er høj. En anden fordel er, at en væsentlig del af arbejdet kan udføres af en tandtekniker. Ulemperne er de biologiske konsekvenser som følge af, at præparation er nødvendig (tandsubstans, pulpa og gingiva), at omkostningerne er store, når en tandtekniker involveres, at når fejl opstår, er de ofte alvorlige (endo, fraktur af keramik, løsning af krone/onlay), 4) at reparation er en udfordring, og til sidst 5) at det er en såkaldt endelig behandling, der begrænser andre fremtidige behandlingsmuligheder.

Additiv behandling

Additiv behandling med plast har den fordel, at behandlingen er reversibel med indbygget fortrydelsesret, at tilvænning til ny okklusion/artikulation er lettere for patienten end ved keramik, at der er god mulighed for reparation, at fremtidige

behandlingsmuligheder holdes åbne, og at omkostningerne er begrænsede for patienten sammenlignet med indirekte restaureringer. Ulemperne er, at behandlingen er teknikfølsom og kan være vanskelig for tandlægen at udføre, at æstetikken ikke altid er så god som ved keramik, og at der over tid er behov for vedligeholdelse i form af pudsning eller mindre reparationer.

FAKTABOKS 2

Additiv versus subtraktiv behandling

Additiv, minimalt invasivt

Fordele

• Reversibel

• Mulighed for reparation

• Holder fremtidige behandlingsmuligheder åbne

• Begrænset omkostning for patienten

Ulemper

• Teknikfølsomt

• Behov for vedligeholdelse

Subtraktiv, mere invasivt

Fordele

• Mekaniske egenskaber

• Æstetik

Ulemper

• Tandtekniker oftest nødvendig

• Biologiske og økonomiske konsekvenser

• Fejl ofte mere alvorlige

• Reparation en udfordring

• Færre fremtidige restaurerende muligheder

BEHANDLINGSSTRATEGI

Ofte vil behandlingsvalget være en kombination af direkte og indirekte restaureringer tilpasset det enkelte tandsæt, hvor også ortodontisk behandling indledningsvis kan være aktuel (2,3). Denne artikels forfatter bygger sin behandlingsstrategi på følgende overvejelser (Faktaboks 3; se også Faktaboks 1):

Forebyggende tiltag er altid nødvendige fremadrettet, fordi dårlige vaner med indtag af sur kost eller drikke ofte er vanskelige at slippe helt af med, eller at ætiologiske forhold ikke altid lader sig ændre, som fx sygdomme med nedsat spytsekretion, refluks, indtag af medicin etc.

Mindst mulig behandling er oftest bedst, fordi jo flere tænder der behandles, desto flere steder kan det fremadrettet gå

Før behandling af lokalt anteriort tandslid

Fig. 1. A. 35-årig mand med æstetisk behov for behandling af slidte fortænder. Han skærer tænder om natten og har tidligere drukket mange læskedrikke. B og C. Incisiver og hjørnetænder er afkortede med ca. 1/4. Incisalt ses rester af plast fra tidligere plastbehandling. Al overfladestruktur i emaljen er eroderet/abraderet væk. D. Svært slid af 11 og 21 med incisal grøft, hvor dentinen er eksponeret. I den uunderstøttede incisale emalje ses chipfrakturer facialt. Lateraler og hjørnetænder har moderat slid på palatinalflader uden eksponering af dentin, men med gråligt gennemskin i slidt emalje approksimalt. E. Tæt bid og let dybt i fronten. F og G. Ingen okklusale attritionsfacetter, men let eroderet emalje på alle tyggeflader med svagt gennemskin af gullig dentin og med små cuppings på underkæbemolarer.

Fig. 1. A. 35-year-old man with aesthetic need for treatment of worn front teeth. He suffers from nocturnal bruxism and has previously been drinking many soft drinks. B and C. Incisors and canines are shortened by app. 1/4. Remnants of resin material from previous treatments are seen on the incisal edge. All surface structure in the enamel is removed by erosion/abrasion. D. Severe wear of 11 and 21 with incisal ditch where dentin is exposed. In the unsupported incisal enamel, chip fractures are seen facially. Laterals and canines have moderate wear on the palatale surfaces without dentin exposure, but with greyish gloss in worn enamel approximally. E. Close bite and slightly deep in the front. F and G. No occlusal attrition facets, but slightly eroded enamel on all chewing surfaces with a slight translucency of yellowish dentin and with small cuppings on the mandibular molars.

galt. Fx kan bidhævning i sideregionerne udføres alene i den kæbe, der har størst slid. Fortsat progression af slid (attrition) af tænderne i den ubehandlede kæbe vil herefter begrænses af, at plast slider mindre på antagonisterne end tandkontakter gør.

Kun tænder med behov behandles, bl.a. fordi bidhævning ikke kræver, at alle tænder skal være med i okklusion umiddelbart efter en bidhævning, men kun at der er jævn kontakt i tandsættet. Fx kan bidhævning på 2.-molarer uden slidskade ofte undlades, hvilket også gælder for enkelte tænder i sideregionen med ellers velfungerende fuldkroner.

Mindst mulig invasiv behandling er altid at foretrække. Det gælder specielt på unge, hvor invasiv behandling af tidligere nævnte biologiske hensyn bør udskydes længst muligt, også selv om noninvasiv behandling med plast kræver vedligeholdelse over tid (4). Kun tænder hos voksne med behov og evt. gentagne omlavninger/reparationer (endodontisk involvering, substanstab, æstetik) behandles med indirekte onlays, skaleller fuldkroner.

En begrænset udgift for patienten kan gøre det muligt for flere at få udført behandling. Selv om prisen for en stor behandling med plast også er høj, vil den altid være væsentligt lavere end ved anvendelse af indirekte restaureringer. Specielt i Danmark, hvor der ikke er offentligt tilskud til behandling af slidte tænder, vil mange patienter ikke have mulighed for at få udført nødvendige behandlinger, hvis prisen er høj.

FAKTABOKS 3

Behandlingsstrategi

(ad modum artiklens forfatter)

• Forebyggende tiltag altid nødvendige fremadrettet

• Mindst mulig behandling oftest bedst

• Kun behandling af tænder med behov

• Mindst mulig invasiv behandling – specielt på unge

• Begrænset udgift for patienten giver flere mulighed for at få udført nødvendig behandling

PATIENTTILFÆLDE

Introduktion af patient

En ung mand på 35 år henvendte sig med et ønske om at få sine slidte fortænder gjort pænere (Fig. 1A). Han havde ingen symptomer og god funktion, men oplyste, at han skar tænder om natten. Han havde aldrig haft en bidskinne og havde flere gange tidligere fået repareret fortændernes skærekanter med plast, dog kun med kortvarig holdbarhed. Han oplyste at have haft et stort forbrug af læskedrikke gennem mange år, hvilket nu var ophørt.

Fortænder og hjørnetænder i overkæben var afkortede med ca. 1/4 (Fig. 1B, C), incisalt på 11 og 21 var der grøfter med

klinisk relevans

Behandlingsvalg i forbindelse med et voksende behov for behandling af svært slidte tænder kan være vanskeligt. I mange tilfælde vil adhæsiv teknik med direkte plast være en mulighed, som kan udelukke mere invasive og omkostningsfyldte tiltag.

uunderstøttet emalje og eksponeret dentin; flere steder var der rester af plast (Fig. 1D, E). Incisiver i underkæben havde begrænset slid i emaljen. Der var let dybt bid i fronten og ved protrusion tæt kontakt mellem alle incisalkanter (Fig. 1E). I sideregionerne var der tegn på erosionsskader (små cuppings og let eroderet emalje med gulligt gennemskin af dentinen), men ikke tydelige tegn på attrition (Fig. 1F, G).

Patienten havde et æstetisk behov for behandling af det kraftige slid i fronten (attrition og erosion i forbindelse med let dybt bid), mens præmolarer og molarer med mindre okklusale erosionsskader efter ophørt erosiv påvirkning ikke havde behov for restaurerende behandling. Der var således æstetisk indikation for behandling af det anteriore tandslid.

Behandlingsplan

Som følge af det tætte bid i fronten, hvor plast ikke tidligere havde kunnet holde, var det nødvendigt at lave bidhævning for at skabe plads til nye holdbare restaureringer. Med udgangspunkt i den tidligere beskrevne behandlingsstrategi blev kun tænderne 13, 12, 11 og 21, 22, 23 med patologisk tandslid behandlet, mens mindre erosionsskader på præmolarer og molarer var under kontrol efter ophør med sure indtag.

Tilvænning af muskler, led og ligamenter ved brug af bidskinne i en periode før bidhævning blev ikke udført, da det er denne forfatters kliniske erfaring, at patienter uden bidfunktionelle problemer hurtigt vænner sig til selv en større bidhævning. Det er også bekræftet i en oversigtsartikel, hvor det konkluderes, at en forøgelse af bidhøjden ikke har negativ indflydelse på kæbeleddet, at der sker en adaptation af muskulaturen i løbet af få dage/uger, og at forbehandling med skinne kun er nødvendig, hvis der er problemer med kæbeleddet, eller at bidhævningen er større end frivejsmellemrummet eller større end 5 mm (5). Endelig konkluderes det i artiklen, at problemerne med skinner ofte er større end ulemperne ved tilpasning til en ny bidhøjde med faste restaureringer.

Bidhævning blev her planlagt udført med anvendelse af Bjørn Dahl princippet (6), som bygger på, at tænder, der ikke er i okklusal kontakt, naturligt forsøger at opnå kontakt over tid. Dahl undersøgte i dette gamle fine studie tændernes bevægelse (intrusion, ekstrusion og kipning) ved hjælp af røntgenbilleder. 20 personer fik indsat små metalimplantater i kæberne og blev udstyret med en aftagelig stålskinne med bidplateau til fortænderne, som gav åbent bid i siderne. Ved hjælp af røntgenkontroller hver 2. måned blev tændernes bevægelser i kæberne målt, og det blev vist, at der i

Behandling af lokaliseret anteriort tandslid med fast bidskinne ad modum Bjørn Dahl

Fig. 2. A. Indprøvning af tilpassede Odus Pellakroner anvendt som matricer. B. For at opnå god æstetik blev Odus Pellakronerne fyldt med plast med lagteknik: a) 1. lag af transparent plast (emalje A1) blev lagt facialt i matricen i en tykkelse på ca. 1 mm. b) 2. lag af opak, men lys plast (dentin A1) blev lagt i den incisale del uden at skubbe til det faciale emaljelag. c) 3. lag af mere opak og med højere chroma i plasten (dentin A3) blev lagt mere gingivalt. d) Den fyldte matrice set apikalt fra, hvor kun 1. og 3. lag er synlige. C. Efter adhæsiv behandling af tænderne blev de fyldte Odus Pellakroner påsat to ad gangen og lyspolymeriseret grundigt både facialt og palatinalt fra. D. Før pudsning palatinalt blev gingivale områder repareret med flowplast, hvor matricerne ikke havde kunnet slutte tæt. E. I forbindelse med pudsning blev højden af kronerne reduceret for at få god faciolingval tykkelse i plasten incisalt og herved øgede mekaniske egenskaber. Fig. 2. A. Testing of adapted Odus Pella crowns used as matrices. B. To achieve good aesthetics, Odus Pella crowns were filled with resin composite using layering technique: a) The 1st layer of transparent resin material (enamel A1) was placed facially in the matrix in a layer of appr. 1mm. b) The 2nd layer of opaque but still light resin material (dentin A1) was placed in the incisal part, without pushing the enamel layer. c) The 3rd layer of more opaqu and a higher chroma in the resin material (dentin A3) was placed more gingivally. d) The filled matrix seen apically, where only the 1st and 3rd layers are visible. C. After adhesive treatment of the teeth, the filled Odus Pella crowns were applied two at a time and thoroughly lightcured both facially and palatinately. D. Before finishing, the gingival areas were repaired with flowable resin material, where the fit of the matrices had been insufficient. E. During finishing the height of crowns was reduced to get a better facio-lingual thickness of the resin material incisally and hereby increase the mechanical properties.

alle tilfælde kom kontakt i siderne inden for det første år. Det samme er vist i et nyere klinisk studie, hvor lokaliseret anteriort slid blev behandlet efter Bjørn Dahl princippet og fulgt i 10 år (7). Her opnåede 81 % af patienterne komplet posterior okklusion i løbet af 2-11 måneder, mens 19 % fik partiel posterior okklusion.

Bidhævning på denne patient blev udført med en ”anterior skinne” – ikke aftagelig som i Dahl-studiet – men som fast bidhævning på de enkelte tænder i forbindelse med fremstilling af seks nye partielle plastkroner med direkte teknik. Af hensyn til patientens ønske om at få æstetiske tænder blev plastbehandlingen udført med lagteknik vha. emalje- og dentinfarver for at imi-

Fig. 2. fortsættes på næste side
C a) C b) B a)

2. F. Efter bidhævning i fronten: a) Okklusion og artikulation blev indslebet, så alle 6 tænder var i kontakt og med en bidhævning på ca. 2 mm. Det palatinale bidplateau medvirkede til en aksial belastning for at begrænse kipning af tænderne. Bemærk de kraftige incisalkanter, som gav mekanisk styrke i plasten. b) Nyt sammenbid efter behandling. Bidhævning i fronten på ca. 2 mm har ført til en lidt mindre bidhævning i siderne. G. Facilitering af ekstrusion af tænderne i siderne blev udført vha. let stripping approksimalt. H. Efter afsluttet behandling af anteriort tandslid: a) og b) Inden for en periode på 3 måneder var der kommet okklusion på alle tænder.

Fig. 2. F. After anterior bite lift: a) Occlusion and articulation were made with all 6 teeth in contact and with a bite lift of approx. 2mm. The palatine bite plateau contributes to an axial load and limits tilting of the teeth . Note the thick incisal edges, which provide mechanical strength in the resin material. b) New occlusion after treatment. An anterior bite lift of approx. 2 mm has leads to a slightly smaller bite lift in the lateral segments. G. To facilitate extrusion of teeth a light stripping was performed approximately. H. After completion of treatment of anterior tooth wear: a) and b) Within a period of 3 months occlusion had been obtained in all teeth.

tere de naturlige tænders farver og transparens/opacitet (8-10). Før behandling blev patienten grundigt informeret om de ulemper, der kunne komme umiddelbart efter behandling (ændret okklusion og artikulation i fronten, manglende tyggekontakter i siderne med deraf nedsat tyggefunktion, ømhed fra behandlede tænder og muskulatur samt evt. fonetiske ændringer), men han

blev også informeret om, at det var en reversibel behandling, så plasten kunne fjernes, hvis ubehaget blev for stort.

Klinisk procedure

Der blev ikke udført præparation på tænderne. Som hjælp til at opnå god morfologi ved behandling af seks tænder i én be-

H b)
H a)
Fig.
G
F b)
F a)
Fig. 2. fortsat fra forrige side

handlingsseance blev der som matricer anvendt Odus Pellakroner (Fig. 2A). De blev tilpasset tænderne approksimalt og facialt og placering indøvet mhp. korrekt kronehøjde, facial prominens og bidhævning på ca. 2 mm palatinalt. Før adhæsiv behandling blev Odus Pellakronerne fyldt med plast (microfil hybridplast med gode mekaniske egenskaber) i emalje og dentinfarver (Fig. 2B) og lagt parat under en lysbeskyttende skærm klar til brug. Dernæst blev emalje-dentin-binding udført på alle seks tænder

Kontrol af behandling over tid

og matricer til de to centraler placeret og lyspolymeriseret (Fig. 2C, a). Herefter blev lateral og hjørnetand placeret og polymeriseret én side ad gangen (Fig. 2C, b). Palatinalt, hvor matricerne ikke sluttede tæt gingivalt, blev der repareret med flowplast før salivakontakt (Fig. 2D). Som det fremgår af Fig. 2C, b, var alle tænder for høje incisalt-gingivalt, hvilket var bevidst, fordi en efterfølgende incisal afkortning ville give større faciolingval materialetykkelse og bedre mekaniske egenskaber i plasten (Fig.

Fig. 3. A. Kontrol og vedligeholdelse 0-6 år. a) Æstetisk resultat ved 3-måneders kontrol. b) Efter 6 år ses kantmisfarvning, som patienten ikke selv havde bemærket. c) Næroptagelse ved 6-års kontrol, hvor kantmisfarvning var tydelig i de områder, hvor plasten havde været trukket ud i tynde lag. d) Efter kortvarig pudsning kunne kantmisfarvningerne fjernes og et optimalt æstetisk resultat genetableres. B. Kontrol efter 10 år med god funktion og acceptabel æstetik, hvor kun mindre vedligeholdelse var nødvendig undervejs.

Fig. 3. A. Control and maintenance 0-6 year. a) Aesthetic result after 3 months. b) Marginal discoloration after 6 years was not seen by the patient. c) Close up at the 6 year-control, where obvious marginal discolorations were seen in areas with thin layers of resin material. d) The marginal discolorations could easily be polished away and an optimal aesthetic result re-established. B. Control after 10 years with good function and acceptable aesthetics. Only minor maintenance was necessary during this time.

A a)
A c)
B)
A b)
A d)

2D, E). Palatinalflader og incisalkanter blev pudset til jævn okklusion og artikulation med en bidhævning på ca. 2 mm og et bidplateau palatinalt mhp. aksial belastning og begrænsning af kipning (Fig. 2F, a og b). For at facilitere ekstrusion af præmolarer og molarer blev der udført en let approksimal stripping (Fig. 2G). Der blev ikke efterfølgende anvendt bidskinne med henblik på at forebygge fortsat attrition, fordi forfatterens kliniske erfaring er, at bruksister oftest ophører med at skære tænder, når tandkontakterne ændres fra at være i tandsubstans til plast.

Kontrol af behandling

Ved kontrol én uge efter behandling oplyste patienten, at de nævnte bivirkninger ikke havde været så slemme, som han var forberedt på. Han beskrev det som lettere generel ømhed efter den langvarige behandling, men ingen gener fra muskler og led. Det gik godt med tygning, selv om måltiderne tog lidt længere tid. Ved tremånederskontrollen var der fuld okklusion i begge sider, og patienten kunne ikke oplyse præcist, hvornår tyggefunktionen var blevet som før behandling (Fig. 2H, a og b). Det æstetiske resultat efter tre måneder var tilfredsstillende (Fig. 3A, a).

Ved årlige kontroller var funktion og æstetik uden komplikationer, men efter seks år var der kantmisfarvning i områder, hvor plasten havde været lagt i tynde lag (Fig. 3A, b og c). Efter kortvarig pudsning blev kantmisfarvningen fjernet (Fig. 3A, d). Efter 10 år var der fortsat god funktion med kun små tegn på attrition i fronten og fravær af kantmisfarvninger, men med en mindre incisal fraktur på 21, som patienten ikke selv havde bemærket, og som derfor ikke blev behandlet (Fig. 3B).

Konklusion

Samlet kan det konkluderes, at behandlingen har været noninvasiv, at den kun har givet patienten begrænsede symptomer i starten, at funktion og holdbarhed har været tilfredsstillende, også selv om let vedligeholdelse har været nødvendig. Det stemmer overens med resultaterne fra de kliniske studier, der foreløbigt er tilgængelige om holdbarhed af restaureringer,

hvor slidte tænder er behandlet med direkte plast (11-15). Her er der vist holdbarheder med en årlig omlavningsfrekvens på ca. 3 %, hvilket ligger tæt på det, vi kender fra holdbarhed af klasse II- og IV-plastfyldninger (16,17).

ALTERNATIVE BEHANDLINGSMULIGHEDER

For nogle patienter vil det være lettere at acceptere en anterior bidhævning, hvis 1.-præmolar i begge sider medinddrages. Ved direkte plastbehandling af så mange tænder kan det være nødvendigt at dele behandlingen op i to seancer, hvor hjørnetænder og præmolarer behandles ved første besøg og incisiverne kort tid efter.

Hvis den beskrevne metode med anvendelse af Odus Pellakroner til hævning af bidhøjden med direkte indslibning af okklusion og artikulation synes vanskelig, kan det også vælges at lade en tandtekniker udføre en diagnostisk opmodellering af bidhævningen på model i artikulator, som herefter overføres til tandsættet. Det kan gøres ved hjælp af en silikoneform af opmodelleringen, som anvendes til at bygge palatinalflader og incisalkanter op, hvorefter approksimalflader kan udføres med god gingival kanttilslutning ved hjælp af konventionel matrice- og kileteknik. Her kan æstetikken samtidig tilgodeses med lagteknik i plastmaterialet. Overføring af en diagnostisk opmodellering kan også udføres med en presset skinne, som, hvis overførslen skal være entydig, må være udført i et stift materiale og udformet, så den har fast støtte på tænder, der ikke skal bidhæves. En blød skinne vil ikke kunne placeres præcist, hvilket betyder, at der vil være mere indslibning i okklusion og artikulation efterfølgende. Injektionsteknik, hvor flowplast sprøjtes ind i overførselsskinnen, kan gøre tilpasning gingivalt og approksimalt vanskelig, fordi lavviskøs plast er vanskeligere at styre. Injektionsmetoden kan heller ikke udføres med lagteknik, og endelig er det ikke vist klinisk, at flowplast har lige så gode mekaniske egenskaber til forebyggelse af fraktur og slid, som plast med konventionel viskositet har.

Der er tilladelse fra patienten til at bringe de kliniske billeder.

ABSTRACT (ENGLISH)

NON-INVASIVE TREATMENT OF WORN TEETH WITH ADHESIVE TECHNIQUE

Today, adhesive techniques have made it possible in many cases to treat pathologically worn teeth in need of increasing of the vertical dimension of occlusion without use of invasive and costly indirect restorations. The article reviews different types of tooth wear, discusses when there is an indication for restorative treatment and how a strategy for treatment is made. A clinical example of treatment of pathological anterior tooth wear using direct resin composite material is shown, where minor erosion damage to other teeth is treated with preventive measures and monitoring.

Before treatment no bite splint was used for adaptation to the bite lift, but treatment was performed immediately ad modum Bjørn Dahl with resin composite material as a fixed splint. The aesthetics were obtained by using layering technique with composites in enamel and dentin colors. The patient experienced only minor discomfort after bite lift during the first weeks after treatment in the form of slight tenderness from teeth, muscles and joints as well as reduced chewing function. Posterior occlusion returned gradually within the first 3 months. The treatment was followed over 10 years, during which the resin treatment was maintained from time to time.

LITTERATUR

1. Loomans B, Opdam N, Attin T et al. Severe tooth wear: European consensus statement on management guidelines. J Adhes Dent 2017;19:111-9.

2. Pallesen U, van Dijken WV. Noninvasiv behandling af slid og erosion. Aktuel Nordisk Odontologi. Oslo: Universitetsforlaget AS 2012;37:115-36.

3. Gotfredsen K, Pallesen U. Invasiv behandling af slid. Aktuel Nordisk Odontologi. Oslo: Universitetsforlaget AS 2013;38:33-50.

4. Demarco FF, Collares K, Coelhode-Souza FH et al. Anterior composite restorations: A systematic review on long-term survival and reasons for failure. Dent Mater 2015;31:1214-24.

5. Abduo J, Lyons K. Clinical considerations for increasing occlusal vertical dimension: a review. Aust Dent J 2012;57:2-10.

6. Dahl BL, Krogstad O. The effect of a partial bite raising splint on the occlusal face heigh. An x-ray cephalometric study in human adults. Acta Odontol Scand 1982;40:17-24.

7. Gulamali AB, Hemmings KW, Tredwin CJ et al. Survival analysis of composite Dahl restorations provided to manage localized anterior tooth wear (ten year followup). Brit Dent J 2011;211:E9.

8. Dietschi D. Layering concepts in anterior composite restorations. J Adhes Dent 2001;3:71-80.

9. Pallesen U, van Dijken JWV. Frakturerede fortænder – behandling med direkte plast. Aktuel Nordisk Odontologi. Oslo: Universitetsforlaget AS 2018;43:46-67.

10. Pallesen U, van Dijken WV. Restoration of traumatized teeth with resin composites. In: Andreasen JO, Andreasen EM, Andersson L,

eds. Textbook and color atlas of traumatic injuries to the teeth, 5th ed. New Jersey: John Wiley & Sons Ltd., 2019.

11. Milosevic A, Burnside G. The survival of direct composite restorations in the management of severe tooth wear including attrition and erosion: A prospective 8-year study. J Dent 2016;44:13-9.

12. Loomans BAC, Kreulen CM, HuijsVisser HECE et al. Clinical performance of full rehabilitations with direct composites in severe tooth wear patients: 3.5 Years results. J Dent 2018;70:97-103.

13. Crins LAMJ, Opdam NJM, Kreulen CM et al. Randomized controlled trial on the performance of direct and indirect composite restorations in patients with severe tooth wear. Dent Mater 2021;37:1645-54.

14. Mehta SB, Lima VP, Bronkhorst EM et al. Clinical performance of direct composite resin restorations in full mouth rehabilitation for patients with severe tooth wear: 5.5-year results. J Dent 2021;112:103743.

15. Ray-Chaudhuri A, Brown T, RayChaudhuri E et al. When (and when not) to use the Dahl concept. Brit Dent J 2023;234:155-64.

16. Opdam NJM, van de Sande FH, Bronkhorst E et al. Longevity of posterior composite restorations: A systematic review and meta-analysis. J Dent Res 2014;93:943-9.

17. van Dijken JWV, Pallesen U. Fracture frequency and longevity of fractured resin composite, polyacid modified resin composite and resin modified glass ionomer cement class IV restorations. An up to 14 years follow-up. Clin Oral Investig 2010;14:217-22.

Til klinikker, der ønsker det bedste

PaX-i Plus

OPG

valgfri CEPH: 1,9 sek.

VERDENS FØRENDE

Green 2

valgfri CEPH: 3,9 sek.

Green Nxt

DVT/OPG

EzSensor HD 5 års garanti INKL.

• Leverer billeder i høj opløsning

• Ergonomisk design i tre størrelser

• Hurtig og nem betjening

• Direkte USB-forbindelse

opt-on® / spot-on®

• To forstørrelser (2,7/3,3)

• Mega skarp. Ultra-let. Universal

• Hurtig udskiftning af tilbehør

• Stort udvalg af tilbehør

• To forskellige lyssystemer

• Lupbriller på højeste niveau

valgfri CEPH: 1,9 sek.

Green X

DVT/OPG

valgfri CEPH: 1,9 sek.

Endomode:

ChairsidePlus Trio NYHED

EASY Mill-Chairside Workflow –præcis, enkel, åben, automatisk, overkommelig, rentabel

To TOP-innovationer:

ChairsidePlus Duo WET:

Automatisk dataoverførsel NY

PMS (VDDS)

Database

• Intraoral 3D-scanner

• Hurtige scanningstider og høj kantnøjagtighed

Med kabel

• Mulighed for cart

• Trådløs S8000 fra 2025

EASY Mill4

Design

ChairsidePlus Duo DRY: byzz® Nxt

Chairsi de

Produktion

EASY Mill

• Våd bearbejdning

• 4 akser

• Perfit FS

Fuldt sintret zirkoniumoxid, færdigbehandlet på mindre end 60 minutter, ingen sintringsovn nødvendig

• Alle almindelige blokmaterialer

EASY Mill5

• Tørfræsning

• 5 akser

Skiver + blokke lavet af bløde materialer, egnet til præ-sintret zirkonium

ABSTRACT

BAGGRUND – Denne kasuistik beskriver en patient, hvor der blev valgt protetisk behandling i ung alder.

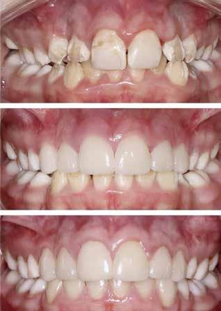
PATIENTTILFÆLDE – En niårig pige havde stort behandlingsbehov og smerter fra tænderne på grund af tandudviklingsforstyrrelse. Der var flere gange forsøgt restaurering med komposit, som ikke fungerede. Laminater i feldspatkeram blev valgt for at fjerne mindst mulig tandsubstans, øge holdbarheden på restaureringerne og forbedre æstetikken. Patientens motivation, meninger og kooperationsevne var vigtige for behandlingsvalget, da behandlingen var tidkrævende og til tider udmattende for en ung patient.

KONKLUSION – Resultatet var vellykket og medførte forbedret livskvalitet. Protetisk behandling med adhæsiv teknik kan være et godt behandlingsalternativ for børn og unge på ret indikation.

EMNEORD Adhesives | amelogenesis imperfecta | ceramics | pediatric dentistry | quality of life

Protetisk behandling med adhæsiv teknik –et alternativ i ung alder?

HANNE SHETELIG TUVRØNNINGEN, specialist i pædodonti, Avdeling for pedodonti, atferdsfag og rettsodontologi, Institutt for klinisk odontologi, Det odontologiske fakultet, Universitetet i Oslo

ANNE RØNNEBERG, førsteamanuensis, specialist i pædodonti, Avdeling for pedodonti, atferdsfag og rettsodontologi, Institutt for klinisk odontologi, Det odontologiske fakultet, Universitetet i Oslo

INGVILD JOHNSEN BRUSEVOLD, førsteamanuensis, specialist i pædodonti, Avdeling for pedodonti, atferdsfag og rettsodontologi, Institutt for klinisk odontologi, Det odontologiske fakultet, Universitetet i Oslo

TOVE IRENE WIGEN, professor, specialist i pædodonti, Avdeling for pedodonti, atferdsfag og rettsodontologi, Institutt for klinisk odontologi, Det odontologiske fakultet, Universitetet i Oslo

Accepteret til publikation den 26. marts 2024 Tandlægebladet 2024;128:758-62

VED BEHOV FOR OMFATTENDE TANDRESTAURERING HOS BØRN OG UNGE kan flere behandlingsalternativer være aktuelle (1). Restaurering med fyldningsmaterialer er som regel førstevalg, men i nogle tilfælde fungerer dette ikke godt nok. Ved udarbejdelse af behandlingsplan må klinikerne kende til mulige behandlingsalternativer og vurdere disse på baggrund af kliniske fund, patientens symptomer og kooperationsevne samt patientens ønsker og planlægge behandling i et livsløbsperspektiv.

PATIENTTILFÆLDE

Korrespondanceansvarlig sidsteforfatter: TOVE IRENE WIGEN wigen@odont.uio.no

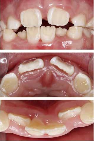
Beskrivelse af patienten Patienten blev henvist til specialistuddannelsen i pædodonti ved Universitetet i Oslo, da hun var syv år gammel, for diagnostik og behandling af tandudviklingsforstyrrelse i primære og permanente tandsæt. Pigen havde pollenallergi, var ellers sund og rask og havde intet medicinforbrug.

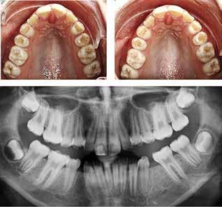
Klinisk undersøgelse viste emaljehypoplasier og hypomineralisering på 1+, +1, 2-, 1-, -1 og -2 (Fig.1). Hun havde Angle klasse II, pladsmangel i begge kæber og agenesi af -5. Der var isninger ved spisning og tandbørstning. Fundene var forenelige

med amelogenesis imperfecta (AI), kombination af hypoplasiog hypomaturationstype. Hypoplastiske områder på incisiver i overkæben blev dækket med komposit som indledende behandling, men da pigen blev ni år, var det tydeligt, at denne behandling ikke havde fungeret som forventet, og der var behov for ny behandling (Fig. 2). Kompositfyldningerne bandt dårligt, var plakretinerende og blev hurtigt misfarvede, hvilket medførte hyppige omlavninger. Hun kradsede sig i tandkødet og pillede ofte med neglene i fyldningskanterne. Patienten havde et stærkt ønske om smertefrihed samt øget holdbarhed og bedre æstetik på restaureringer.

Vurdering af behandling

Behandlingsplan blev udarbejdet i samarbejde mellem specialister i pædodonti, ortodonti, oral rehabilitering, radiologi,

Patienten er syv år

Fig. 1. A-C. Kliniske forhold ved syvårsalderen. Der ses en tynd kant af emalje med hvide opaciteter approksimalt, incisalt og cervikalt samt manglende emalje bukkalt og palatinalt/lingvalt. Primære hjørnetænder har emaljehypoplasi og slitage. Pladsmangel i begge kæber.

Fig. 1. A-C. Clinical situation at 7 years of age. A thin margin of enamel with white opacities on proximal, incisal, and cervical surfaces, with absence of enamel on buccal, palatal and lingual surfaces is seen. Primary canines have enamel hypoplasia and signs of wear. Insufficient space observed in both jaws.

oral kirurgi og oral medicin. Målet var at opnå et funktionelt og æstetisk tandsæt med god holdbarhed på restaureringer. Det var også vigtigt at forebygge negativ påvirkning på pigens psykosociale sundhed på grund af tændernes udseende og funktion. Der var behov for både ortodontisk og protetisk behandling på grund af tandudviklingsforstyrrelsen, agenesi af -5 og pladsmangel i begge kæber. På grund af dårlige erfaringer med komposit og behov for restaurering og omformning af flere tænder anbefalede man, på trods af patientens alder, protetisk behandling fra 4+ til +4. Oprindelig blev det planlagt at lave laminater i glaskeram (litiumdisilikat), men i samråd med tandtekniker valgte man i stedet at fremstille laminater i feldspatkeram, fordi det var ønskeligt at opnå minimal præparation og tynd afslutning gingivalt, og fordi de æstetiske krav var meget høje. Før protetisk behandling kunne gennemføres, skulle

Patienten er ni år

Fig. 2. Kliniske fotografier og panoramarøntgen taget i niårsalderen. A. Der ses hypoplasier på permanente incisiver, hjørnetænder og præmolarer. Misfarvede kompositfyldninger på 1+, 2-, 1-, -1 og -2. B og C. Primære molarer og første permanente molarer har opak emalje med okklusal slitage. D. Panoramarøntgen viser total pladsmangel for hjørnetænder i overkæben og agenesi af -5.

Fig. 2. Clinical photographs and panoramic radiograph, 9 years old. A. Hypoplasia observed on permanent incisors, canines, and premolars. Discoloured composite fillings on 11, 31, 32, 41, and 42. B and C. Primary molars and first permanent molars have opaque enamel with occlusal wear. D. The panoramic radiograph shows lack of space for canines in the maxilla and agenesis of tooth 35.

3+ og +3 fjernes kirurgisk, -05 og 4- ekstraheres på grund af pladsmangel, og tændernes position korrigeres ved hjælp af ortodonti (alignere). Okklusalt på 5+ og +5 anbefalede man komposit til at dække hypoplasier. Der var også behov for protetisk behandling i underkæben på længere sigt.

Præprotetisk behandling gennemført i alderen 9-12 år

Pigen gennemgik omfattende behandling med kirurgisk fjernelse af 3+ og +3 under oral sedering med midazolam mikstur, ekstraktion af -05 og 4- under lattergassedering og præprotetisk ortodontisk behandling i overkæben (Fig. 3). I underkæben var der tandmellemrum på 2-3 mm på hver side efter ekstraktioner, men man vurderede, at der ikke var behov for ortodontisk behandling.

Protetisk behandling

Der blev udført digital scanning for studiemodeller og simulering (mock-up) før præparation, så patienten kunne se og godkende udformningen af laminaterne. Behandling blev iværksat efter justering af mock-up og farvevalg i samråd med tandtekniker.

Efter administration af lokalanalgesi (Septocaine®) blev der præpareret forsigtigt og hovedsagelig i emalje, men enkelte områder med dybe emaljehypoplasier blev udfyldt med ny komposit. Præparationsgrænsen blev lagt i emalje, og kon-

Patienten er 12 år

Fig. 3. A og B. Før og efter ortodontisk behandling med alignere i overkæben ved 12-årsalder. Patienten havde meget god kooperation, og den ortodontiske behandling tog kun et par måneder. C. Panoramarøntgen viser status ved 11,5 års alder efter ekstraktion af 4- og -05 samt kirurgisk fjernelse af 3+ og +3.

Fig. 3. A and B. Before and after orthodontic treatment with aligners in the maxilla at age 12. The patient compliance was excellent, and the orthodontic treatment time was only a few months. C. Panoramic radiograph shows status at 11.5 years of age after extraction of 75 and 44 as well as surgical removal of 13 and 23.

Påsætning af laminater

Fig. 4. A og B. Regio 4+ til +4 efter præparation og før cementering af laminater under anvendelse af kofferdam og retraktionstråd.

Fig. 4. A and B. Teeth 14-24 after preparation and before cementation of ceramic veneers, isolated with rubber dam and retraction cord.

taktpunkter blev bevaret. Aftryk blev taget med Impregum® (3M) og temporære laminater fremstillet i Protemp® (3M) ved hjælp af Exaclear® skinne (GC) og cementeret med Temp Bond® (Kerr). Ved næste seance blev de midlertidige laminater fjernet, de præparerede flader pudset rene med pimpsten og laminater indprøvet efter administration af lokalanalgesi (Septocaine®). Der blev benyttet gingival retraktionstråd og kofferdam (Fig. 4). Laminaterne var forbehandlet med flussyreætsning hos tandtekniker. Efter indprøvning blev keramets indre flader rengjort med fosforsyre, spulet med vand og blæst tørre før silanisering med Bis-Silane® (Bisco). Emaljen blev ætset med fosforsyre i 15 sekunder, skyllet godt med vand og blæst tør med let lufttryk. Bondingsystemet, som blev benyttet, var All-Bond 2® (Bisco), og laminaterne blev cementeret med Variolink Esthetic LC® neutral (Ivoclar) efter producentens anvisning.

Der var behov for meget lokalanalgesi, og effekten blev oplevet som kortvarig, formentlig som følge af patientens tandudviklingsforstyrrelse. Behandlingen var omfattende og tidkrævende for en ung patient. Ydermere var der problemer med at lave holdbare og æstetisk tilfredsstillende midlertidige laminater, hvilket også medførte forværring af isningerne i perioden fra præparation og frem til cementering.

Ved kontrol fire dage efter cementering var patienten yderst tilfreds med behandlingen. Cementoverskud blev fjernet og 5+, +4 og +5 som planlagt forseglet med komposit i okklusale hypoplasier. Dette medførte en lille forøgelse af den okklusale vertikale dimension, som patienten accepterede. Der blev taget aftryk og fremstillet en gennemsigtig aftagelig plade (StaVac®) til overkæben til anvendelse om natten for at retinere det ortodontiske resultat.

Protetisk behandling

Fig. 5. A. Før protetisk behandling (11 år). B. Efter protetisk behandling med laminater regio 4+ til +4 (12 år). C. To år efter cementering af laminater i overkæben (14 år). Patienten har også fået laminater i underkæben (regio 3- til -4).

Fig. 5. A. Before prosthetic treatment (age 11). B. After prosthetic treatment with veneers on teeth 14-24 (age 12). C. Two years after cementation of veneers in the upper jaw (age 14). The patient has also received veneers in the lower jaw (teeth 34-43).

klinisk relevans

For unge patienter med behov for omfattende restaurering er der flere behandlingsmuligheder, som klinikere bør kende til. Protetisk behandling med adhæsiv teknik kan være en god og holdbar løsning på specielle indikationer. Patientens ønsker og motivation må inddrages i behandlingsvalget, da behandlingen er teknikfølsom og tidkrævende. Tidlig protetisk behandling kan give unge patienter forbedret livskvalitet og modvirke udvikling af fremtidig tandlægeskræk og angst.

Da patienten var fyldt 13 år, blev der fremstillet laminater i feldspatkeram regio 3- til -3 og laminat i glaskeram (litiumdisilikat) på -4. Ved kontrol to år efter cementering af laminater i overkæben var patienten stadig godt tilfreds med funktion og æstetik (Fig. 5).

DISKUSSION

Levetiden for kompositfyldninger er generelt kortere hos patienter med AI end hos andre, hvilket medfører hyppige tandlægebesøg og mange fyldningsrevisioner (2). Det var også tilfældet for pigen i denne kasuistik. Kompositfyldningerne var plakretinerende, fyldningskanterne blev hurtigt misfarvede, og patienten kradsede meget i tandkødet og pillede med neglene i fyldningskanterne, hvilket kan have været medvirkende til den korte levetid og de hyppige behov for omlavninger.

Patienter med AI har ofte funktionelle behov for tandbehandling på grund af hypersensitivitet, smerte, fraktur og sli-

tage. Mange er plaget af tændernes udseende og undgår social kontakt, hvilket medfører indskrænkninger i livsførelsen (3). Børn og unge med AI har reduceret oral sundhedsrelateret livskvalitet sammenlignet med børn og unge uden AI, og tidlig protetisk behandling kan forbedre livskvaliteten uden at give patienterne mere frygt og angst for tandbehandling eller negative holdninger til tandbehandling (4,5). Det er påvist, at helkeramiske restaureringer giver god æstetik, god holdbarhed og få komplikationer hos unge patienter med alvorlig AI (6). Pigen i denne kasuistik var plaget af hypersensitivitet i flere tænder og var aldrig tilfreds med de æstetiske resultater, der blev opnået ved hjælp af komposit. Hun var motiveret og klar til at få protetisk behandling. Det var ønskeligt at præparere minimalt på grund af hendes unge alder, den begrænsede mængde emalje og de høje krav til æstetik. Der var også behov for omformning af førstepræmolarer til hjørnetænder. Feldspatkeram er et materiale med vældig god æstetik og kan benyttes i fronten, hvor tyggebelastningen er lille (7). Laminater i feldspatkeram kan afsluttes hvor som helst på tanden, og afslutningen kan være papirtynd. Selvom laminater, der er bondet til hypomineraliseret emalje vil give svagere binding sammenlignet med frisk emalje, kan man alligevel forvente bedre levetid og æstetik end for direkte kompositrestaureringer (8) og mindre behov for omlavning. Det blev derfor vurderet, at protetisk behandling med adhæsiv teknik var det bedste alternativ, idet dette tillod en minimal invasiv behandling for denne pige.

Etiske betragtninger

Patientens motivation, behov, symptomer og kooperationsevne er styrende for behandling, og barnets mening skal tillægges behørig vægt i forhold til dets alder og modenhed (9). Forældre kan også have forskellige meninger og erfaringer, som påvirker, hvad de ønsker for deres børn. Det er vigtigt at individualisere behandlingen, og målet bør være holdbare løsninger og bedst mulig livskvalitet. Dialog med både patient og omsorgspersoner er af stor betydning for god sundhedsforståelse og varetagelse af den unge patient.

KONKLUSION

Tandbehandling af børn og unge med adhæsiv teknik er tidkrævende og teknikfølsom. Den omfattende behandling var krævende for patienten, men heldigvis levede resultatet af

A B C

behandlingen op til hendes forventninger. Tænderne blev hen ad vejen symptomfrie, og hendes livskvalitet steg betragteligt efter behandlingen. I nogle tilfælde er der stærk indikation for tidlig protetisk behandling hos børn og unge, og dette bør da gennemføres. Det er vigtigt ikke at påføre unge patienter negative erfaringer, og anvendelse af medikamentel sedering, lattergassedering og i særlige tilfælde endog generel anæstesi bør overvejes.

TAK

Tak til Afdeling for oral protetik, IKO, UiO, for gode diskussioner og forslag til behandlingsplan. Tak til Afdeling for oral kirurgi og oral medicin, IKO, UiO, hvor den kirurgiske behandling blev udført. Tak til Afdeling for ortodonti, IKO, UiO, for godt samarbejde og for kliniske fotografier og til Afdeling for kæbeog ansigtsradiologi, IKO, UiO, for billeddiagnostik. En stor tak rettes også til patient og forældre for samtykke til publicering.

ABSTRACT (ENGLISH)

PROSTHETIC TREATMENT WITH ADHESIVE TECHNIQUE – AN OPTION FOR YOUNG PATIENTS?

BACKGROUND – This case report describes a patient for whom prosthetic treatment was chosen at a young age.

CASE STUDY – The girl had pain from her teeth and extensive need for treatment due to a dental developmental disorder. Several attempts with composite restorations were unsuccessful. Feldspatic ceramic veneers were chosen for minimal removal of tooth substance and to increase the durability of

LITTERATUR

1. Sveinsdottir EG, Espelid I. Dentale utviklingsforstyrrelser – kliniske utfordringer i diagnostikk og behandling. I: Holmstrup P, ed. Aktuel Nordisk Odontologi. Oslo: Universitetsforlaget, 2016;41: 126-45.

2. Pousette Lundgren G, Dahllöf G. Outcome of restorative treatment in young patients with amelogenesis imperfecta. a cross-sectional, retrospective study. J Dent 2014;42:1382-9.

3. Appelstrand SB, Robertson A, Sabel N. Patient-reported outcome

measures in individuals with amelogenesis imperfecta: a systematic review. Eur Arch Paediatr Dent 2022;23:885-95.

4. Rodd HD, Abdul-Karim A, Yesudian G et al. Seeking children’s perspectives in the management of visible enamel defects. Int J Paediatr Dent 2011;21:89-95.

5. Das R, Børstad E, Feuerheim A et al. Tidlig kroneterapi utført hos ungdommer med alvorlig amelogenesis imperfecta forbedrer livsutfoldelsen. Nor Tannlegeforen Tid 2022;132:336-42.

restorations as well as to improve aesthetics. The patient's motivation, opinions, and ability to cooperate were important for the choice of treatment as the treatment was timeconsuming and at times exhausting for the young girl.

CONCLUSION – The result was considered successful and led to an improved quality of life. Prosthetic treatment with adhesive technique can be an effective option for young patients hitting the criteria for use.

6. Pousette Lundgren G, Vestlund GM, Dahllöf G, et al. Crown therapy in young individuals with amelogenesis imperfecta: Long term follow-up of a randomized controlled trial. J Dent 2018;76:102-8.

7. Johansson C, Vult von Steyern P. Porslin och glaskeramer – våra mest estetiska material. Tandlægebladet 2019;123:22-7.

8. Ohrvik HG, Hjortsjö C. Retrospective study of patients with amelogenesis imperfecta treated with different bonded restoration

techniques. Clin Exp Dent Res 2020;6:16-23.

9. UNITED NATIONS. FNs konvensjon om barnets rettigheter. (Set 2024 februar). Tilgængelig fra: URL: https://fn.no/avtaler/menneskerettigheter/barnekonvensjonen

ABSTRACT

BAGGRUND – Patienter med amelogenesis imperfecta har oftest et livslangt behandlingsbehov, fordi insufficient mineraliseret emalje fører til fraktur, slid, symptomer, caries, begrænset holdbarhed af restaureringer og insufficient æstetik. Det er derfor vigtigt, at behandlingsvalg relateres til patientens alder og behov, samt at en noninvasiv tilgang tilstræbes.

PATIENTTILFÆLDE – I denne artikel gennemgås behandlingen af en 16-årig dreng med æstetiske problemer i fronten, hvor okklusalt slid endnu ikke er behandlingskrævende. Behandlingsprincippet tager udgangspunkt i patientens unge alder og udføres derfor med direkte plast. De kliniske procedurer bliver udførligt beskrevet undervejs.

KONKLUSION – Noninvasiv adhæsiv teknik kunne løse patientens æstetiske behov, og efter 10 år var der fortsat god holdbarhed af plasten. Til sidst diskuteres behandling af forskellige aldersgrupper kort, herunder valg af forskellige materialer samt holdbarhed.

EMNEORD Amelogenesis imperfecta | restorative treatment | adhesives | composite resin

Adhæsiv behandling af ung patient med amelogenesis imperfecta

ULLA PALLESEN, overtandlæge, Odontologisk Institut, Københavns Universitet, Danmark

Accepteret til publikation den 21. marts 2024 Tandlægebladet 2024;128:764-9

IDENNE ARTIKEL FOKUSERES PÅ BEHANDLING AF EN 16-ÅRIG DRENG MED ØNSKE OM FORBEDRET ÆSTETIK, hvor behandlingsvalget baseres på biologiske hensyn relateret til patientens alder, behov og emaljedefekter. Hos en 16-årig, hvor tænderne skal holde længe, tages specielt hensyn til pulpa, gingiva og bevarelse af tandsubstans ved at anvende noninvasiv teknik med direkte plast uden præparation af tænder. Der fokuseres på optimal mundhygiejne og anvendelse af restaurerende teknik, hvor skånsom behandling prioriteres umiddelbart, men også fremadrettet over et livslangt forløb med kommende omlavninger (1).

AMELOGENESIS IMPERFECTA

• Amelogenesis imperfecta (AI) er en sjælden nedarvet sygdom og den hyppigst forekommende genetisk betingede afvigelse i tanddannelsen (2-4).

• Når AI er til stede, omfatter den alle tænder i både det primære og permanente tandsæt og er oftest mest udtalt i de permanente tænder (2).

• AI inddeles ofte i den hypoplastiske type (kvantitativ) og i den hypomineraliserede type (kvalitativ, hypocalcificeret/hypomatureret) (2,4).

Korrespondanceansvarlig forfatter: ULLA PALLESEN ul@sund.ku.dk

• Symptomer ved AI er karakteriseret ved hypersensitivitet, nedsat tyggefunktion, slid, caries, misfarvning, ændret morfologi og evt. åbent bid i tandsættet (2,4).

Før og efter fjernelse af gammel plast

Fig. 1. A. Før behandling af 16-årig dreng med behov for æstetisk behandling. Den gamle plastbehandling bærer præg af små frakturer, kant- og corpusmisfarvning og manglende afdækning af alle flader (klinisk mere udtalt end gengivet på fotoet). B. Efter forsigtig fjernelse af gammel plast fremgår det, at 14 og 13 er kraftigt misfarvet.

Fig. 1. A. Before treatment of 16-year-old boy in need of aesthetic treatment. The old resin restorations are marked by small fractures, marginal – and corpus discoloration and do not cover all surfaces (clinically more pronounced than reproduced in the photo). B. After careful removal of old composite resin material, it appears that 14 and 13 are severely discolored.

PATIENTTILFÆLDE

Introduktion

En 16-årig dreng med AI var som følge af diagnosen blevet fulgt tæt i den kommunale tandpleje i sin opvækst, hvor æstetisk behandling med plast var udført og repareret flere gange. Da patienten blev 16 år og mere bevidst om sit udseende, kom der fra familien et ønske om at få æstetikken væsentligt forbedret (Fig. 1A), og han blev henvist til privat praksis for behandling hos artiklens forfatter. Moderen med samme diagnose, som selv havde været gennem en stor restaurerende behandling med fuldkroner på alle tænder, var indstillet på, at der skulle findes en mere skånsom løsning til sønnen, og at behandling med fuldkroner skulle udsættes længst muligt. Samtidig var både mor og søn bevidste om, at æstetikken skulle være høj, og at behandlingen skulle have god holdbarhed. Patienten var sund og rask, havde god mundhygiejne og ellers sunde orale forhold. Ud fra de tænder, der ikke var dækket med plast, blev AI-typen vurderet til at være den hypomineraliserede (kvalitativ defekt, hypomatureret), fordi tænderne havde normal størrelse, der var begyndende nedbrud af emaljen okklusalt (se Fig. 5B), og emaljen var opak hvidlig eller gult/gråligt misfarvet (se Fig. 6) (4). Den eksisterende plastbehandling på overkæbefortænder, hjørnetænder og præmolarer var let insufficiente flere steder (kantmisfarvning, gennemskin af misfarvning og dækkede ikke facialfladerne helt), hvilket

fremgår af Fig. 1A, hvor det dog kan nævnes, at æstetikken var mindre god end gengivet på det kliniske foto, hvilket ofte er tilfældet på billeder.

På det givne tidspunkt var der ikke indikation for behandling okklusalt, fordi emaljen persisterede mange steder (begrænset slid) og der ikke var symptomer fra tænderne. Heller ikke misfarvning af underkæbefortænderne syntes at være et problem for patienten. Derimod var behovet for forbedring af æstetikken i overkæbefronten og ønsket om mere holdbare restaureringer forståeligt, og der var således indikation for behandling af facialflader på præmolarer, hjørnetænder og incisiver i overkæben. Med udgangspunkt i patientens unge alder blev det besluttet at udføre behandlingen noninvasivt med direkte plast.

BEHANDLINGSSTRATEGI

• AI-patienter har stor variation i behov for behandling (4).

• Behandling starter oftest tidligt i barnealderen og fortsætter livslangt.

• Valg af behandling skal tilpasses den enkelte patients behov og alder.

• Noninvasiv behandling er altid at foretrække, hvor det er muligt (1).

• Behandling med plast kan være med til at udskyde behandling med fuldkroner.

• Restaureringer hos patienter med AI har ofte kortere holdbarhed (5,6).

• Tilskudsordninger for patienter med omfattende odontologiske følger af deres AI er i dag omfattet af offentlig betaling.

Klinisk procedure

Gammel plast blev forsigtigt fjernet fra fortænder, hjørnetænder og 1.-præmolarer i overkæben (Fig. 1A og B). Af Fig. 1B og 2A fremgår det, at specielt hjørnetænder og præmolarer er kraftigt gul-brunligt misfarvede, mens emaljen på incisiverne er tynd, let gullig misfarvet og har hvide pletter flere steder. Der udføres ingen præparation før behandling med plast. For at sikre tæt gingival kanttilslutning fikseres U-formede celluloidmatricer gingivalt med polymeriseret flydende kofferdam (Fig. 2B). Med anvendelse af et tretrins adhæsivt system bygges facaderne på de fire incisiver op i et mikrofil-hybridt plastmateriale med lagteknik (Fig. 2C). Først med ca. 1 mm lys dentinfarve for at dække misfarvning og lysne (øge value), fulgt af små lokale pletter med hvid karakteriseringsfarve (flydende plast) for at imitere opaciteter (skaber liv i facaden) og endelig ca.

½ mm emaljefarve yderst for at sikre translucens. Alle plastlag polymeriseres individuelt. Pladsen til dækning af misfarvning hentes ved at lade alle tænder prominere lidt mere end før behandling. Pudsning udføres med diamanter, sandpapirskiver,

silikonepolerer og polerpasta. Alle karakteristika ved naturlige tænders makro- og mikromorfologi forsøges gengivet, herunder krumningstegn, udviklingsfurer, reflekser, overfladestruktur etc. (Fig. 2D).

Klinisk procedure ved behandling af overkæbeincisiver

Fig. 2. A. Før behandling – efter fjernelse af gammel plast – ses moderat misfarvning af fortænder og kraftig misfarvning af hjørnetænder og præmolarer i overkæben. B. For at sikre tæt gingival kanttilslutning fikseres celluloidmatricer gingivalt med polymeriseret flydende kofferdam. C. Efter opbygning af 11 og 21 ved hjælp af lagteknik med direkte plast. D. Efter pudsning af nye plastfacader på 12, 11, 21 og 22.

Fig. 2. A. Before treatment, moderate discoloration of incisors and severe discoloration of canines and premolars of the upper jaw is seen. B. To ensure tight gingival fit, celluloid matrix bands are fixed gingivally with polymerized flowable rubber dam. C. After buildup of 11 and 21 using direct layer technique with composite resin material. D. After finish/polish of new composite resin veneers at 12, 11, 21 and 22.

Svær AI-misfarvning af enkelte tænder

A
B
Fig. 3. A. Før afdækning af kraftigt misfarvede 14 og 13. B. Før afdækning af 23 og 24.
Fig. 3. A. Before treatment of heavily discolored 14 and 13. B. Before treatment of 23 and 24.
A B

Når kraftig misfarvning skal dækkes – som her på hjørnetænder og præmolarer (Fig. 3 A og B) – er god plads nødvendig. For at få overblik over, om dentinfarven i plastmaterialet alene kan dække misfarvningen, eller om en mere opaque (ikke transparent, lys, flydende plast) er nødvendig først, prøvepolymeriseres et lag af dentinfarven før behandling i den mulige tykkelse (Fig. 4A). Hvis det lader sig gøre – som her – bliver resultatet oftest pænere, end hvis en lys merer opaque anvendes.

Holdbarhed af plastfacaderne optimeres ved at give dem en god tykkelse og ved at indslibe artikulation, så flere – helst mange – restaureringer/tænder samtidigt er med i kontakt (Fig. 5A og B). Det er vigtigt før behandling – som det blev hos denne patient – at have afstemt forventning mht. manglende farvelighed mellem over- og underkæbetænder efter behandling (Fig. 6).

Kontrol af behandling

Som henvist patient sluttede patienten hos artiklens forfatter efter halvårskontrollen og var med sin AI-diagnose herefter tilknyttet Odontologisk Videncenter på Rigshospitalet i København. Efter 10 år havde patienten fået et æstetisk problem med sine underkæbefortænder og blev behandlet af tandlæge Jakob Lempert ved Videncentret med direkte plastfacader på underkæbeincisiver og -hjørnetænder (Fig. 7A og B). Ved sam-

klinisk relevans

Patienter med amelogenesis imperfecta (AI) har meget forskellige behandlingsbehov, og emaljens ufuldstændige mineralisering giver ofte udfordringer mht. holdbarhed af restaureringer. Det betyder, at behandlingsvalg må tages på et biologisk grundlag med skyldigt hensyn til patientens alder og behov. På børn og unge vil adhæsiv behandling med direkte plast/glasionomercement og evt. stålkroner oftest være den bedste løsning, mens skal-/fuldkroner eller en kombination af plast og keramik hyppigst vil være at foretrække på voksne, når høj æstetik og længere holdbarhed er ønsket. I de fleste tilfælde vil behandling kunne udføres med en noninvasiv tilgang, hvilket altid må tilstræbes.

me 10-års kontrol oplyste patienten, at han fortsat var tilfreds med æstetikken af den gamle plastbehandling i overkæben, hvor der ikke var udført reparation eller pudsning af plasten i løbet af de10 år. Han havde ikke selv bemærket en mindre plastfraktur på 14 eller en porøsitet på 21, som derfor ikke var behandlingskrævende (Fig. 7A).

Klinisk procedure ved afdækning af kraftig misfarvning

Fig. 4. A. For at sikre dækning af kraftig misfarvning afprøves plastmaterialets farve, opacitet og tykkelse på 13 før syreætsning af emaljen. B. Gingivale matricer på 14 og 13 fikseret med polymeriseret flydende kofferdam. C. Efter lagvis opbygning og pudsning af direkte plastfacader på 14, 13, 12 og 11. Bemærk de hvide karakteriseringer i den incisale del af facialfladerne. D. Efter direkte plastfacader på 21, 22, 23 og 24.

Fig. 4. A. To ensure covering of severe discoloration, the colour, opacity and thickness of the composite resin material is tested on 13 before acid etching of the enamel. B. Gingival matrices of 14 and 13 are fixed with polymerized flowable rubber dam. C. After layering technique and finish of direct resin veneers on 14, 13, 12 and 11. Note the white characterizations in the incisal part of the veneers. D. After direct resin veneers on 21, 22, 23 and 24.

A
C B D

Overkæbetænder efter noninvasiv behandling med plast

Fig. 5. A. Plastfacader fra 14 til 24 umiddelbart efter afsluttet behandling. B. Set okklusalt/incisalt fra fremgår det, at pladsen til afdækning af misfarvninger er hentet ved at lade facialfladerne prominere mere end tidligere, så noninvasiv behandling uden beslibning af tænderne kunne udføres. Okklusalt/palatinalt ses slid i emaljen, som ikke var behandlingskrævende på det pågældende tidspunkt.

Fig. 5. A. Composite resin veneers from 14 to 24 immediately after completed treatment. B. Seen from occlusal/incisal it appears that space to cover discoloration has been obtained by letting the veneers prominate more than before, allowing non-invasive treatment with no removal of healthy toothstructure. Treatment of occlusal/palatinal wear was not indicated at the time in question.

Kontrol og behandling, da patienten var blevet 26 år

Kontrol 1 uge efter behandling

Fig. 6. Efter afsluttet æstetisk behandling, hvor den 16-årige dreng ikke havde behov for behandling af de grå/gule misfarvninger i underkæbefortænderne.

Fig. 6. After completed aesthetic treatment, the 16-year-old boy did not have a need for treatment of the grey/yellow discolored lower incisors and canines.

DISKUSSION

Der er stor forskel på valg af behandling til børn og unge med AI-diagnoser, men allerede tidligt oplever mange en negativ indvirkning på livskvalitet og har brug for behandling, som fortsætter det meste af livet. Restaurering med plast/glasionomercement på børn kan være en udfordring for både patient og tandlæge, hvor vanskelig lokalanalgesi og begrænset accept fra barnet kan gøre det vanskeligt at lave optimale restaureringer. Der er generel evidens for, at der er en svagere binding af plast til hypomineraliseret emalje sammenlignet med binding

Fig. 7. A. Efter 10 års funktion uden reparation eller pudsning af plasten ses fortsat god æstetik i overkæbefronten. En mindre fraktur i plasten på 14 og en porøsitet på 21 var ikke behandlingskrævende. B. Et æstetisk behov i underkæbefronten blev på det tidspunkt behandlet med direkte plastfacader på underkæbeincisiver og -hjørnetænder. Behandlingen blev her udført af tandlæge Jakob Lempert på Odontologisk Videncenter, Rigshospitalet i København, hvor patienten med sin AI-diagnose var tilknyttet.

Fig. 7. A. After 10 years of function without repair or polish of the resin material, good aesthetics can still be seen of the upper anterior teeth. A minor fracture of the resin material in 14 and a porosity in 21 were not requiring treatment. B. An aesthetic need for treatment of the lower anterior teeth was at this time treated with direct composite resin veneers on lower incisors and canines. The treatment was performed by Jakob Lempert at Odontological Knowledge Center, Rigshospitalet in Copenhagen, where the patient with his AI diagnosis was attached.

(fotos v. Jakob Lempert)
A B

til sund emalje (2,5,6), hvilket skyldes det lavere mineralindhold, men også, at der er et større indhold af protein. Laboratorieforsøg har vist, at forbehandling af hypomineraliseret emalje med deproteiniserende middel (fx 5 % natriumhypoklorit) kunne føre til øget bindingsstyrke (7,8). Valg af adhæsiv har i et klinisk studie, hvor hypomineraliserede seksårs-tænder blev behandlet med plast, vist, at der efter 18 måneder ikke var forskel i holdbarhed, hvad enten der blev anvendt et total-etch eller et self-etch adhæsivt system (9).

Valg af komposit plastmateriale har i kliniske studier på patienter uden AI vist at have begrænset betydning for holdbarhed (10), hvilket må forventes også at gælde ved behandling af AI-patienter. Glasionomercement er lidt mindre følsom for manglende tørlægning end plast og kan måske være det bedste materialevalg, hvis absolut tørlægning ikke er mulig (11). Hvor behandling med plast lader sig gøre, vil det have bedre mekaniske og æstetiske egenskaber (11). Når alvorligt afficerede posteriore tænder behandles, vil valg af stålkroner ofte

være den bedste løsning, fordi de beskytter mod caries, ikke slides og derved bevarer bidhøjden.

Når barnet bliver ældre og klar til lidt længere varende behandlinger med mulighed for god tørlægning, vil behandling med direkte plast ofte kunne udføres optimalt fra starten med deraf følgende god holdbarhed. I den beskrevne kasuistik blev det vist, at æstetisk behandling med direkte plast på en ung person med AI kunne leve op til patientens behov for æstetik og samtidig holde i mere end 10 år. Herved kunne fuldkronebehandling udsættes på ubestemt tid eller evt. helt undgås.

Der er accept fra patienten til, at kliniske fotos kan anvendes.

TAK

Tak til tandlæge Jakob Lempert ved Odontologisk Videncenter på Rigshospitalet i København for samarbejdet om patienten og for udlån af fotos.

ABSTRACT (ENGLISH)

ADHESIVE THERAPY OF A YOUNG PATIENT WITH AMELOGENESIS IMPERFECTA

BACKGROUND – Patients with amelogenesis imperfecta usually have a lifelong need for treatment because insufficient mineralized enamel leads to fractures, wear, symptoms, caries, limited longevity of restorations, and insufficient aesthetics. It is therefore important that choice of treatment is related to the patient's age and needs, and that a non-invasive approach is sought.

CASE STUDY – This article reviews the treatment of a 16-yearold boy with anterior aesthetic problems, but where occlusal

LITTERATUR

1. Pallesen U. Non-invasiv behandling af det slidte tandsæt med adhæsiv teknik – med kasuistik om behandling af lokaliseret anteriort slid. Tandlægebladet 2024;128:748-56.

2. Espelid I, Haubek D, Jälevik B. Developmental defects of the dental hard tissues and their treatment. In: Kock G, Poulsen S, Espelid L et al. eds. Pediatric dentistry: A clinical approach. 3rd ed. Oxford: Wiley-Blackwell, 2017;261-90.

3. Jakobsen C, Skou R, Hertz JM et al. Amelogenesis imperfecta: Gener, proteiner og faenotyper. Tandlægebladet 2013;117:574-82

4. Hermann X, Daugaard-Jensen J, Lempert JS et al. Emalje dysplasi eller dentinanomali? Ætiologi, diagnostik og behandlingsovervejelser ved medfødte, isolerede tanddannelsesforstyrrelser i emalje og dentin. Tandlægebladet 2023;127:982-91.

5. Sabandal MMI, Schäfer E. Amelogenesis imperfecta: review of diagnostic findings and treatment concepts. Odontol 2016;104:245-56.

6. Seow WK, Amaratunge A. The effects of acid-etching on enamel from different clinical variants of amelogenesis imperfects: An SEM study. Pediatr Dent 1998;20:37-42.

wear does not yet require treatment. The choice of treatment is based on the young patient’s age. He therefore receives aesthetic treatment with direct composite resin material. The clinical procedures are described in detail.

CONCLUSION – A non-invasive technique proved to be able to meet the patient's needs and after 10 years there was still good durability of the composite resin restorations. Finally, treatments for different age groups are briefly discussed, including choice of materials and durability.

7. Ekambaram M, Anthonappa RP, Govindool SR et al. Comparison of deproteinization agents on bonding to developmentally hypomineralized enamel. J Dent 2017;67:94-101.

8. Krämer N, Bui Khac NN, Lücker S et al. Bonding strategies for MIHaffected enamel and dentin. Dent Mater 2018;34:331-40.

9. Souza JF, Fragelli CB, Jeremias F et al. Eighteen-month clinical performance of composite resin restorations with two different adhesive systems for molars affected by Molar Incisor Hypomineralization. Clin Oral Investig 2017;21:1725-33.

10. Demarco FF, Corrêa MB, Cenci MS et al. Longevity of posterior composite restorations: not only a matter of materials. Dent Mater 2012;28:87-101.

11. Benetti AR, Pallesen U. Komposit plast og glasionomercement som fyldningsmateriale i permanente kindtænder. Tandlægebladet 2024;128:480-91.

ABSTRACT

BAGGRUND – Behandlingsvalget ved restaurering af store tanddefekter kan være udfordrende og kan påvirkes af en række faktorer. I de senere år har man set en ændring i behandlingsstrategien, idet adhæsive teknikker og forbedrede materialer har muliggjort en mere minimalt invasiv tankegang.

PATIENTTILFÆLDE – En patient henvendte sig på grund af en mistet stor amalgamopbygning i 6+, som var symptomfri og tidligere rodfyldt. Rodfyldningerne var insufficiente og korte; men der var ingen periapikal sygdom. Kavitetsgrænserne lå supragingivalt. Det blev besluttet at restaurere tanden med direkte komposit. Misfarvet tandsubstans blev præpareret, og den palatinale væg blev reduceret med 3 mm. Der blev anlagt kofferdam for fugtighedskontrol, og fyldningen blev bygget op ved hjælp af sektionsmatricer, tretrins æts-og-skylsystem og mikrohybrid komposit.

KONKLUSION – Usikker prognose, økonomi og ønske om at bevare tandsubstans er faktorer, som taler for valget af direkte restaurering med komposit, mens tekniske udfordringer såsom fugtighedskontrol og korrekt tandanatomisk udformning af restaureringen kan pege i retning af en protetisk restaurering. Kliniske studier viser, at cuspisdækkende resinbaserede kompositrestaureringer kan være et holdbart alternativ til kroneterapi.

EMNEORD Composite resins | clinical decision-making | dental restoration | dental bonding | longevity

Kompositfyldninger i udkanten af indikationsområdet

LÆGREID, førsteamanuensis, tandlæge, ph.d., Institutt for klinisk odontologi, Universitetet i Bergen

Accepteret til publikation den 15. februar 2024

Tandlægebladet 2024;128:770-3

Korrespondanceansvarlig forfatter: TORGILS LÆGREID torgils.lagreid@uib.no

TANDLÆGER STÅR OFTE OVER FOR VANSKELIGE VALG, når det gælder restaurering af tænder, ikke mindst hvis der er tale om store defekter. Kliniske faktorer, som påvirker behandlingsvalget, kan fx være resttandsubstans, bidforhold, parodontal og endodontisk prognose, mundhygiejne og mulighed for fugtighedskontrol (1). Patientrelaterede faktorer som økonomi, ønsker og æstetiske præferencer samt operatørrelaterede faktorer som erfaring og tidspres spiller også en vigtig rolle (2). Det endelige behandlingsvalg bør bero på en indgående vurdering af individuelle patientrelaterede forhold og selvfølgelig ske i samråd med patienten.

I de senere år har man set en ændring i behandlingstrategi, idet nye teknikker (fx matricesystemer) og forbedrede adhæsiver og resinbaserede fyldningsmaterialer har muliggjort en mere minimalt invasiv tankegang. Denne udvikling har sammen med forbud mod og restriktioner i anvendelsen af amalgam i enkelte lande ført til, at brugen af adhæsiver og direkte komposit er blevet mere udbredt ved restaurering af store og tyggebelastede kaviteter.

PATIENTTILFÆLDE

En 65 år gammel patient henvendte sig på grund af en mistet stor amalgamopbygning i 6+, som tidligere var rodfyldt (Fig. 1). Patienten havde ingen symptomer. Røntgen viste til dels insufficiente og korte rodfyldninger; men der var ingen synlig periapikal sygdom. Klinisk kunne man se en intakt palatinal del af tanden, mens resten af kronen manglede. Der lå et temporært fyldningsmateriale i pulpacavum, men det var uvist, om der havde været blotlagt guttaperka og lækage. Kavitetsgrænserne lå supragingivalt, men involverede furkaturindgangen facialt. Der blev registreret parodontale pocher på 4 mm mesialt og distalt.

Præoperativ status

1 A, B. En sund og rask 65-årig mand henvendte sig på grund af tab af stor amalgamopbygning i 6+ (A). Tanden var asymptomatisk og tidligere rodfyldt.

Ingen synlig periapikal patologi (B).

Fig. 1 A, B. A 65-year-old healthy man presented with a lost amalgam restoration in tooth #16 (A). The tooth was asymptomatic and previously root-filled. No visible apical pathology (B).

Forskellige behandlingsvalg blev diskuteret, og valget stod mellem kroneterapi eller direkte opbygning med komposit. Usikkerheden med en insufficient rodfyldning og mulig lækage gjorde, at endodontisk revision måtte anbefales før eventuel stift og krone, mens en eventuel kompositrestaurering kunne planlægges uden endodontisk revision. Patienten var tilfreds med de store kompositrestaureringer, der tidligere var udført på nabotænderne, og ønskede af økonomiske og tidsmæssige årsager en tilsvarende behandling på 6+.

Den temporære fyldning blev fjernet, men delvis efterladt i kanalindgangene. Misfarvet dentin og emalje blev præpareret, og den palatinale væg blev reduceret med 3 mm i højden (Fig. 2). Kaviteten var derefter klar til restaurering.

Der blev etableret retention for kofferdam ved at bygge to små forhøjninger med flow-komposit efter ætsning og bonding af tandoverfladen facialt på hver side af furkaturen (Fig. 3). Kofferdam blev derpå appliceret med klammer på 7+.

klinisk relevans

Resinbaseret komposit er blevet en vigtig del af den restaurative odontologi og har i mange lande aktualiseret valget mellem en direkte fyldning og en indirekte krone ved restaurering af store tanddefekter. Selv om komposit og adhæsive teknikker muliggør en mere tandsubstansbevarende behandling, er proceduren teknikfølsom, fx med hensyn til adækvat fugtighedskontrol og anatomisk udformning.

Færdigpræpareret tand

furkatur

Retention af kofferdam

3. To retentionspunkter appliceret på rodoverfladen facialt på hver sin side af

Fig. 3. Two retention points applied to the root surface buccally, on each side of the

Fig.
Fig. 2. Tydelig
facialt vanskeliggjorde anvendelse af båndmatrice. Fig. 2. The buccal bifurcation made the use of band matrix difficult.
Fig.
furkaturen.
bifurcation.

Opbygning af kompositrestaureringen

Fig. 4. Påmonteret kofferdam med retentionselementer facialt på 6+. Restaureringen blev først bygget op distalt med sektionsmatrice, derefter blev matricen flyttet mesialt og resten af fyldningen bygget op.

Fig. 4. Rubber dam with retention elements buccally on tooth #16. The restoration was first built up distally with a sectional matrix, then the matrix was moved mesially and the restoration finalized.

Færdigrestaureret 6+

Opbygningen af restaureringen blev foretaget ved hjælp af sektionsmatricer. Først blev en matrice monteret distalt med kile, og den distale del af fyldningen blev bygget op (Fig. 4). Derefter blev sektionsmatricen flyttet over på den mesiale del, så denne del af fyldningen kunne bygges op. Til slut blev matricen fjernet, og den faciale væg og den palatinale cuspisoverdækning blev bygget op på fri hånd. For at reducere behovet for grovpolering blev den bedst mulige udformning af den okklusale anatomi tilstræbt før endelig lyshærdning. Retentionspunkterne blev fjernet ved polering af fyldningen (Fig. 5). Som adhæsiv blev et tretrins æts-og-skyl-system benyttet sammen med en mikrohybrid komposit.

DISKUSSION

Der er både fordele og ulemper ved at vælge en direkte teknik med komposit hos denne patient. Ud over at dette er en billigere løsning end en indirekte restaurering, er det også muligt at afvente en eventuel revision af rodfyldningen. Skulle dette blive nødvendigt på et senere tidspunkt, er det muligt at skabe adgang til pulpacavum gennem kompositopbygningen, og der er heller ingen stift, man skal fjerne. En usikker endodontisk prognose er et argument for valg af en direkte løsning (3). Til trods for at det anbefales at lave cuspisoverdækning over den resterende palatinale væg (4), er den direkte teknik mere tandsubstansbesparende, idet man kan bevare mere af den palatinale væg, end hvis man skulle have præpareret til krone. Det

er også enklere at tilpasse restaureringen til den faciale furkatur ved direkte påføring af kompositmaterialet. Ulemperne ved en direkte teknik er først og fremmest, at den er teknisk krævende, både med hensyn til fugtighedskontrol og udformning. Substanstabet vanskeliggør anvendelse af kofferdam.

Fig. 5 A, B. Set okklusalt (A) og facialt fra (B).
Fig. 5 A, B. Occlusal (A) and buccal views (B).

På grund af furkaturen er det her ikke muligt at anvende båndmatrice, og derfor benyttes sektionsmatricer approksimalt og opbygning på fri hånd facialt. For at opnå gode og tætte kontaktpunkter er det hensigtsmæssigt at opbygge de approksimale vægge med enkeltsidig separation og udformning. Dette kræver, at kile og matrice flyttes, hvilket let kan føre til blødning og kontaminering. Derfor er isolering med kofferdam ønskeligt. Udfordringen her er at skabe retention for kofferdammen facialt. For at forbedre denne retention blev der bondet og opbygget to retentionselementer med flowkomposit.

Med hensyn til valget af adhæsivsystem i dette tilfælde viser studier, at adhæsiver, som baserer sig på ætsning af dentin, giver en bedre bindingsstyrke til sklerotisk eller kontami-

neret dentin end selvætsende adhæsiver (5). En mikrohybrid komposit blev valgt som fyldningsmateriale på grund af gode mekaniske egenskaber sammenlignet med fx nanohybride og nanofyldte kompositter (6).

Usikker prognose, økonomi og bevarelse af tandsubstans er faktorer, som taler for valg af direkte restaurering med komposit, mens tekniske udfordringer som fugtighedskontrol og tandanatomisk udformning af restaureringen kan være ulemper. Kliniske studier viser, at store cuspisdækkende resinbaserede kompositrestaureringer i mange tilfælde kan udgøre et holdbart alternativ til kroneterapi (7,8).

Der er accept fra patienten til at bringe billederne.

ABSTRACT (ENGLISH)

BORDERLINE COMPOSITE RESTORATIONS

BACKGROUND – Treatment choices for restoration of extensive dental defects can be challenging, and may be influenced by a number of factors. In recent years, a change in treatment strategy has been seen, where new techniques and better materials have enabled a more minimally invasive way of thinking.

CASE STUDY – The patient presented with a lost amalgam restoration in a symptom-free endodontically treated tooth 16. The root fillings were incomplete, but without apical pathology. It was decided to restore the tooth using direct composite. Discoloured tooth substance was prepared, and

LITTERATUR

1. Laegreid T, Gjerdet NR, Johansson A et al. Clinical decision making on extensive molar restorations. Oper Dent 2014;39:e231-40.

2. Dawson VS, Fransson H, Wolf E. Coronal restoration of the root filled tooth – a qualitative analysis of the dentists’ decision-making process. Int Endod J 2021;54:490500.

3. Stenhagen S, Skeie H, Bårdsen A et al. Influence of the coronal resto-

ration on the outcome of endodontically treated teeth. Acta Odontol Scand 2020;78:81-6.

4. Scotti N, Eruli C, Comba A et al. Longevity of class 2 direct restorations in root-filled teeth: a retrospective clinical study. J Dent 2015;43:499-505.

the palatal wall reduced by 3 mm. Temporary composite buds were made to facilitate rubber dam placement. The restoration was built up by using sectional matrices, a 3-step etchand-rinse system, and a micro-hybrid composite.

CONCLUSION – Uncertain prognosis, economy and preservation of tooth substance are factors that favour the choice of a direct restoration with composite, while technical challenges such as moisture control and anatomical shaping of the restoration can be disadvantages. Clinical studies show that cusp-covering resin-based composite restorations can be a long-lasting alternative to crown therapy.

6. Thomaidis S, Kakaboura A, Mueller WD et al. Mechanical properties of contemporary composite resins and their interrelations. Dent Mater 2013;29:e132-41.

7. Scholtanus JD, Ozcan M. Clinical longevity of extensive direct composite restorations in amalgam replacement: up to 3.5 years followup. J Dent 2014;42:1404-10.

5. Mahn E, Rousson V, Heintze S. Meta-analysis of the influence of bonding parameters on the clinical outcome of tooth-colored cervical restorations. J Adhes Dent 2015;17:391-403.

8. de Kuijper MCFM, Cune MS, Özcan M et al. Clinical performance of direct composite resin versus indirect restorations on endodontically treated posterior teeth: a systematic review and meta-analysis. J Prosthet Dent 2023;130:295306.

Sådan fjerner du et filfragment

FILFRAKTUR ER EN IKKE UKENDT KOMPLIKATION i forbindelse med rodbehandling. Denne guide giver dig et overblik over, hvad du skal tage stilling til, hvis du oplever en filfraktur, og hvordan du griber fjernelse af et filfragment an.

TEKST LISE-LOTTE KIRKEVANG, PROFESSOR, INSTITUT FOR ODONTOLOGI OG ORAL SUNDHED, AARHUS UNIVERSITET, OG KIM ANDREASEN, FREELANCEJOURNALIST

1 2

Baggrund

Filfraktur er en kendt komplikation i forbindelse med rodbehandling. Filene er lavet af enten stål eller nikkel-titanium. Begge typer af file kan frakturere, hvis de anvendes forkert. På trods af alle forholdsreglerne vil filfrakturer ikke kunne undgås.

En fraktureret fil i en rodkanal medfører ikke nødvendigvis en skade eller irritation, men en blokering af en rodkanal kan medføre, at det ikke kan lade sig gøre at udrense, desinficere og rodfylde tanden optimalt.

Hvis det vurderes, at det er muligt at fjerne et filfragment uden at forårsage skade på tanden, vil man forsøge dette. Hvis man vælger at efterlade et filfragment i rodkanalen, skal det angives i patientens journal og anmeldes som en

patientskade. Patienten skal altid informeres om, hvad der er sket.

Filfrakturer er oftest forekommende i underkæbemolarernes mesiale rødder, faktisk ses mere end 50 % af registrerede filfrakturer her. Derudover ses også en øget risiko i relation til de mesio-bukkale rødder på molarer i overkæben. Årsagen er sandsynligvis, at netop disse rødder har en kompliceret anatomi med krumninger i flere dimensioner og istmusområder, der forbinder røddernes kanaler. Antallet af kanaler vurderes ved at tage to røntgenbilleder – horisontalt forskudt 15-20 grader. Bemærk, at du ikke skal kigge efter selve rodkanalerne på røntgenbilledet, men efter, om der kan skelnes dobbeltkonturer langs rodoverfladen, der indikerer, om der er en rodfure, eller måske at roden deler sig. Er der dobbeltkonturer, vil der med stor sandsynlighed være to kanaler, der kan være mere eller mindre sammenhængende.

Overvejelser ved filfraktur

Inden du forsøger at fjerne et filfragment, bør du gøre dig en række overvejelser:

Fragmentets placering og tilgængelighed

Er fragmentet placeret i den koronale tredjedel af roden, og kan du se det, er der gode muligheder for at fjerne fragmentet. En tandlæge med erfaring, viden og det rette udstyr kan i de allerfleste tilfælde fjerne filfragmentet. Et operationsmikroskop giver fx bedre mulighed for at se ned i kanalerne sammenlignet med det blotte øje. Ydermere kan brug af ultralydsinstrumenter med særlige spidser, der er produceret til formålet, være en stor hjælp.

FILFRAKTUR. En fraktureret fil i en rodkanal medfører ikke nødvendigvis en skade eller irritation, men en blokering af en rodkanal kan medføre, at det ikke kan lade sig gøre at udrense, desinficere og rodfylde tanden optimalt.

I nogle tilfælde kan man tilgå filfragmentet via en tilstødende kanal. Ved rodkanaler, der ligger tæt på hinanden, kan det være en mulighed at nå filfragmentet fra siden, via den frie kanal, og derved løsne det.

Sidder filfragmentet derimod apikalt for en krumning i roden, og kan man ikke se det, er det vanskeligt at skabe tilstrækkelig adgang til fragmentets øvre del. Derved bliver prognosen for at kunne fjerne fragmentet uden at skade tanden i forsøget meget dårlig. Det er derfor ofte bedre at undgå et forsøg med en dårlig prognose, da omfattende fjernelse af dentin i kanalen kan føre til perforering i parodontiet og/eller svække roden og dermed øge risikoen for fremtidige rodfrakturer.

Kan den oprindelige behandling gennemføres, uden at fragmentet fjernes, gør det ikke noget, at det sidder tilbage i roden.

Tandens initiale diagnose

En anden vigtig faktor i forhold til overvejelser omkring fjernelse af et filfragment eller ej er tandens oprindelige

diagnose. Er pulpa vital, når filfrakturen indtræffer, og du udfører en pulpektomi efter alle kunstens regler, du arbejder aseptisk, du lokaliserer og udrenser alle rodkanaler og afslutter med en tæt rodfyldning, der indkapsler filfragmentet, er der stor sandsynlighed for, at der ikke opstår yderligere komplikationer. Har tanden apikal parodontitis, er rodkanalerne inficerede, og her vil filfragmentet kunne forhindre en adækvat udrensning og desinfektion af kanalen. Man vil derfor her være mere tilbøjelig til at forsøge en fjernelse af filfragmentet, hvis rodkanalen er inficeret.

Skal jeg prøve selv, eller skal jeg henvise?

Erfaring med filfjernelse er en anden vigtig faktor. Heldigvis står den enkelte tandlæge relativt sjældent med problemet, men det betyder også, at man ofte ikke selv har stor erfaring med at fjerne en fraktureret fil. Hvis du oplever en filfraktur, bør du derfor overveje muligheden for at henvise til en tandlæge, som har erfaring med at fjerne frakturerede file.

Behandling

1. Skab en lige indgang, hvor du kan se fragmentet.

2. Brug et Gatesbor, til du får kontakt med filen.

3. Slib Gatesboret spidst ned, til du når borets tykkeste del.

4. Før det affladede Gatesbor ned til filen, og skab en flad overflade ovenpå filen.

5. Brug ultralydsspids til at skabe en rende omkring filfragmentets koronale del.

6. Forsøg derefter at gå ned langs med fragmentet, mens du hele tiden holder kontakten, så du overfører energi fra ultralyden til fragmentet og dermed vibrerer filen løs. Det er vigtigt at tænke på tandens anatomi, så du ikke risikerer perforation eller svækkelse af roden. Er fragmentet bøjet, skal du arbejde i dets inderste kurve. Er der en kanal mere i samme rod, skal du arbejde mod den side, hvor hovedkanalen er.

7. Det er vigtigt at kunne se, hvad du laver. Derfor må du arbejde tørt, så du kan se, hvor du arbejder med ultralyden. Samtidig er det vigtigt at nedkøle dentinen for ikke at risikere termiske skader på parodontiet. Man bør således arbejde intermitterende og nogle gange arbejde med skyllevæske, nogle gange uden.

8. Fortsæt, så længe du føler, at du har kontrollen. Tag aldrig chancer. Arbejd aldrig uden direkte indsyn.

9. Når/hvis fragmentet løsner sig, og det kan fjernes, skal rodkanalen behandles på normal vis. ♦

Kilde: Stridh Gunnar, Filfraktur – avlägsnande av filfragment (Set 2024 august) Tilgængelig fra: URL: https://internetodontologi.se/endodonti/ filfraktur-avlagsnande-av-filfragment/

TRÆK VEJRET

HVORDAN STYRKER MAN BEDST medarbejdergruppens mentale robusthed og forebygger stress og omsorgstræthed? Det har ORIS Tandlægerne i Kolding undersøgt gennem et stort fælles projekt, der skal give endnu større arbejdsglæde og bedre trivsel. Flere af tandlægerne er allerede i gang med at bringe deres personlige styrker i spil og trække vejret dybere.

TEKST LAURA ELISABETH LIND, FREELANCEJOURNALIST

FOTO KÅRE VIEMOSE

Der er helt stille. Bukserne strejfer kun lige hinanden, som de sidder der på hver sin stol med front mod hinanden og hænderne hvilende på deres ben. Morten Petersen og Marcus Kristensen er som sådan ikke vant til denne fysiske kontakt, ligesom de heller ikke plejer at kigge hinanden i øjnene. I et halvt minut –uden at tale.

Men det er en del af de øvelser, de sammen med resten af personalet har været igennem, fordi klinikken har besluttet sig for at tage kampen mod stress og udbrændthed blandt tandlæger op og arbejde målrettet på at styrke medarbejdernes mentale robusthed.

Projektet er støttet af Velliv Foreningen med en kvart million kroner, og siden sensommeren 2023 har personalet svaret på en større styrketest for at finde frem til deres personlige topstyrker, deltaget i fokusgruppeinterview, fælles informationsmøde og undervisningsforløb med hjemmeopgaver over to dage for lederne og tre dage for det øvrige personale.

I dag er personalet samlet til det sidste af de tre moduler, hvor de bl.a. skal have fokus på meditation og relationsøvelser.

– Det var ret akavet at kigge sin kollega i øjnene i så lang tid. Det føles som meget lang tid, og vi kom også til at grine. Men vi har lært, at det skaber positive følelser, hvis man kigger et andet menneske i øjnene i længere tid, siger Morten Petersen.

Han er 36 år, blev tandlæge i 2014 og har arbejdet i klinikken i syv år. Han har ikke selv været ramt af stress eller omsorgstræthed, som er det samme som udbrændthed. Men han kan genkende situationer, hvor han kan blive presset, og hvor omsorgstrætheden lurer lige om hjørnet:

– Hvis jeg kan se, at jeg senere på dagen skal have en patient, som jeg ved

Vi kan dyrke

de positive følelser og skabe flere af dem

Direktør i Center for Mental Robusthed

er tung at danse med, kan det sætte en dæmper på arbejdsglæden. Så kan jeg mærke en frustration i kroppen, og det påvirker mit humør.

En undersøgelse, som Tandlægebladet har foretaget sidste år blandt knap 700 tandlæger, viser da også, at seks ud af 10 tandlæger har følt sig udbrændt eller manglet arbejdsglæde inden for det seneste halve år. Hele 42 % har endda overvejet at stoppe helt eller delvist som tandlæge. Ofte er det faktorer som stress, myndighedskrav, dårlig ledelse og bekymringer for klinikkens fremtid, der sætter sig i kroppen.

Har Morten Petersen haft flere krævende patienter på en dag, kan det også fylde, når han kommer hjem:

6 ud af 10 tandlæger

føler sig udbrændte

Kilde: Tandlaegebladet.dk

For kollegaerne

Petersen og Marcus Kristensen er det akavet at sidde fysisk tæt og kigge hinanden dybt i øjnene. Men det kan være med til at skabe positive følelser – og dermed modvirke stress.

– Det er sjældent, at jeg bliver meget påvirket af det. Men hvis jeg er i underskud af søvn eller bare mangler overskud, kan det indimellem være sværere at slippe. Jeg har to små piger på et og tre år, som kommer rendende, lige så snart jeg kommer ind ad døren. Det er dem, der betyder alt for mig. Men på de her dage skal man nogle gange lige hanke op i sig selv og finde sit gode humør frem.

Mental robusthed i fokus

Øvelsen med øjenkontakt handler om at styrke sine relationer – en af fem faktorer, der alle spiller ind på vores mentale robusthed. Og det er vigtigt at styrke relationerne til sine kolleger, hvis man vil booste sin mentale robusthed. Det fortæller cand.mag. i psykologi og direktør i Center for Mental Robusthed Ida Rahbek-Hertz, som står bag indsatsen på klinikken.

– Har man det svært og kan mærke, at man er stresset på sit arbejde, ikke kan sove og bliver hurtigere irriteret, skal

man opsøge hjælp og støtte. Det er vigtigt, at man tør række ud og sætte ord på sine følelser over for kollegerne. For andre mennesker er en buffer mod stress. Det er stressdæmpende, hvis et andet menneske giver dig opmærksomhed og nærvær, siger hun og forklarer, at øvelsen med øjenkontakt netop handler om at opleve forbundethed med sin kollega. Hun forklarer, at man kan frembringe en positivitetsresonans ved at kigge hinanden i øjnene. Det er en særlig tilstand, der sker i hjernen, når man føler sig forbundet med et andet menneske. Det kræver mindst 30 sekunders øjenkontakt. – Så hvis man fx vil yde omsorg over for en anden kollega, skal man ikke kigge væk eller ind i sin skærm, men have øjenkontakt, mens man taler sammen. Derved udskilles bl.a. kærlighedshormonet oxytocin, som er med til at nedbryde stresshormonet kortisol, fortæller Ida Rahbek-Hertz, der har lagt vejen forbi klinikken for at føre de 30 medarbejdere gennem det sidste modul i trivselsprojektet.

TILLID.
Morten

MENTAL SUNDHED. Morten Petersen har arbejdet i klinikken i syv år og har ikke selv været ramt af stress eller omsorgstræthed. Men han kan genkende situationer, hvor han kan blive presset, og hvor omsorgstrætheden lurer lige om hjørnet.

Hun har været med til at drive Center for Mental Robusthed siden 2013, og metoderne bygger på evidensbaseret forskning.

– Det skaber tillid til forandringsprocesserne, at vi ved, det virker, siger hun.

En følelsesmæssig overbelastning Spørger man hende, hvad forskellen på stress og omsorgstræthed er, er Ida Rahbek-Hertz klar i mælet.

– Det starter typisk med stress som følge af for store belastninger, hvor man oplever, at enderne ikke hænger sammen. Her medfører den fysiologiske reaktion øget kortisol og adrenalin, og den psykologiske oplevelse er magtesløshed, afmagt, søvnproblemer, og man bliver lettere irriteret, siger hun og fortsætter: – Omsorgstræthed kan komme som følge af en stressbelastning over længere tid, hvor man også er blevet følelsesmæssigt overbelastet. Vi har alle en iboende kapacitet til at genkende ube-

hagelige følelser hos andre, og det skaber en følelsesmæssig reaktion i os selv – en empatisk respons. Men hvis du oplever for meget lidelse, kan du blive omsorgstræt og svækket af den lidelse, som du har til opgave at lindre.

Det kommer til udtryk ved, at man kan udvikle kynisme. Man orker ikke patienterne og synes bare, at andre er irriterende. Hvis man bliver rigtig syg, kan det også være ens egne børn og partner, som man ikke orker, forklarer Ida Rahbek-Hertz.

For at forebygge omsorgstræthed har hun bl.a. lavet en øvelse om ”tankefælder” med personalet. Det handler om at stoppe op og opdage negative mentale kortslutninger.

– Hvis man som tandlæge har glædet sig til at komme på arbejde, møder ind om morgenen og finder ud af, at to kollegaer er syge, og der kommer akutte patienter ind fra højre, så kan man nemt blive fanget i en tankefælde: Nu

vælter hele læsset, det bliver stressende, jeg kommer for sent hjem, og det er alt sammen også bare patienternes skyld, fortæller hun og fortsætter:

– Men der er ikke et objektivt bevis for, at det er sådan, det kommer til at gå. Det kan være, patienterne bliver rykket, andre kollegaer kan tage over eller noget helt tredje. Det kan man træne ved at stoppe op og tænke over, hvad beviset egentlig er for, at det er sådan, det ender. Man træner evnen til at tænke fleksibelt og tænke forskellige tanker om en situation, hvor man ikke med sikkerhed ved, hvad der kommer til at ske.

Omsorgen kan slippe op

For Marcus Kristensen har omsorgstrætheden heller ikke været tæt inde på livet – derinde hvor den slår rødder, får lov til at spire sig stor og overskygge for arbejdsglæden. Han er glad for at gå på arbejde, men oplever også dage, hvor det hele er lidt sværere.

– Hvis jeg har haft en lang dag med krævende patienter, så kan jeg godt mærke en snert af udbrændthed eller træthed, siger Marcus Kristensen. Han er 28 år, har været tandlæge i tre år og har arbejdet i klinikken i to år, og han ved, at han skal være obs på det med at værne om sin mentale sundhed, så han kan fortsætte sit arbejde som tandlæge i mange år.

– Vi er i et fag, hvor mange mennesker har ondt og skal hjælpes. Men patienterne kan godt tære lidt på ens emotionelle kapacitet. Det mærker jeg sjældent, men når det sker, så bliver jeg nok mere kort for hovedet, og jeg har ikke samme overskud til at være så tålmodig over for de patienter, der er mere krævende og fx er tandlægeangste, siger han og fortsætter:

– De har tit brug for ekstra pauser. Og her kan det være, man begynder at synes, de er trælse. Selvom det er reelt nok, at de har det, som de har det, så

Patienterne kan godt tære lidt på ens emotionelle kapacitet

skyder man skylden over på dem – men det er måske egentlig bare en selv, der er presset og træt.

Han vil helst undgå de øjeblikke på dagen, hvor det hele går lidt i hårdknude, og han ikke har overskud til at give den omsorg, som patienten har brug for. Derfor er han også glad for, at han og resten

5 RÅD TIL AT STYRKE DIN MENTALE ROBUSTHED

1. Vær obs på tankefælder: Øv dig i at tænke fleksibelt.

2. Tænk positivt: Dyrk aktiviteter, der giver glæde og energi.

3. Brug dine relationer: Bed om hjælp og støtte, når du har det svært.

4. Mediter og brug din vejrtrækning: Hold hjernepauser og værn om din energi.

5. Bring dine topstyrker i spil: Brug dine styrker bevidst, når du er presset.

Kilde: Center for Mental Robusthed

af personalet har fået en række værktøjer til at forebygge omsorgstræthed.

– For selvom jeg trives i mit arbejde nu, så kan det gå hen og blive et problem, hvis man er i faget i 30-40 år endnu.

Giver meget af sig selv

Et par døre væk fra personalestuen er klinikejer Maj-Britt Maasbüll i gang med en patient, der skal have lavet en fyldning. Hun og resten af ledelsen har netop afsluttet deres undervisningsforløb i klinikkens fælles indsats mod en styrket robusthed. For hende er det vigtigt at skabe gode rammer og arbejdsvilkår for tandlægerne og resten af personalet.

– Det er min fornemmeste rolle at være ansvarlig for personalets trivsel. Det skal ikke være en svingdør, hvor folk kommer og går, men et trygt sted for patienter og personale. Jeg tror, vi alle mere eller mindre har mærket udbrændthed på egen krop. Vi ser mange mennesker på en dag, og mange lider af tand- ¾¾

lægeskræk. Det kræver, at vi yder meget omsorg. Hvis man skal være en god tandlæge, så giver man meget af sig selv, ikke kun fagligt, men også på det psykologiske plan, siger Maj-Britt Maasbüll. Hun er 49 år, uddannet klinikassistent, blev tandlæge i 2005 og har været klinikejer siden 2016. Hun har selv mærket omsorgstrætheden banke på døren. – Jeg havde ikke overskud til noget som helst. Jeg slukkede bare ildebrande, arbejdede, kom hjem og sov. Til sidst orkede jeg nærmest ikke at tage på arbejde.

Mental robusthed på morgenmødet For fire år siden blev klinikken lagt sammen med en anden klinik, og det gav udfordringer at forene to forskellige arbejdskulturer. Både trivslen og arbejdsglæden kom under pres i en periode. For at ændre det ansatte klinikken en klinikchef, Rikke Dresing, der i dag står for den daglige drift og personaleledelse.

Det er min fornemmeste rolle at være ansvarlig

for personalets trivsel

Det er også klinikchefen, der har taget initiativ til det store projekt med fokus på forebyggelse af omsorgstræthed. Hun er selv uddannet robusthedstræner fra Center for Mental Robusthed og vil fremadrettet træne og undervise personalet, så mental sundhed forbliver i fokus.

Maj-Britt Maasbüll er glad for, at medarbejderne har været positivt indstillet overfor projektet. Først mødte det dog nogen skepsis, og flere undrede sig over, hvad det nu var for noget. Men efter de kom i gang, har hun fået mange positive tilbagemeldinger:

– Vi er på vores arbejdsplads i mange timer og ser næsten hinanden mere, end vi ser vores familier. Så det er vigtigt, at vi har det godt og passer på hinanden, siger Maj-Britt Maasbüll.

De nye trivselsredskaber vil fremover blive en del af introprogrammet til nye medarbejdere, ligesom mental robusthed og omsorgstræthed vil blive taget op som emner til MUS-samtaler og på det ugentlige personalemøde.

– Det hjælper ikke noget, at vi har brugt en kvart million på det, og så går det hele i glemmebogen. Vi har fx et morgenmøde en gang om ugen, og der kunne jeg sagtens forestille mig, at vi tager en fælles kort guidet meditation, hvor vi luk-

ker øjnene, får styr på vejrtrækningen og bliver grounded i os selv, siger hun.

Flere mentale værktøjer

Tilbage i personalestuen er medarbejderne i fuld gang med en af øvelserne, som handler om at lære sig selv at dyrke positive følelser. De skriver tre positive ting, som de har oplevet i løbet af dagen, ned på et stykke papir og reflekterer over, hvorfor oplevelserne var gode, og hvilken andel de selv havde i det.

– Med den øvelse træner man evnen til at få øje på det, der virker, og forstå, hvilken indflydelse man selv har på det. Vi har en tendens til at fokusere på det negative, og ofte tror vi, at de gode ting sker tilfældigt. Men vi kan dyrke de positive følelser og skabe flere af dem, fortæller Ida Rahbek-Hertz.

For Marcus Kristensen giver det god mening:

– Det er vigtigt at huske alle dem, man hjælper i løbet af en dag, så man ikke kun fokuserer på udfordringerne, siger han. Som et led i trivselsprojektet har alle fået kendskab til Center for Mental Robustheds app med øvelser og guidede meditationer. Han har lidt svært ved at forestille sig, at han kommer til at meditere derhjemme. For ham er det nærmest meditation – eller i hvert fald mentalt velvære – at være i naturen, klippe hæk i haven og få styr på højbedene. Men han er åben for at prøve det af til morgenmødet med de andre. Det samme er Morten Petersen. Han tager også flere ting med sig.

– Vi har hørt om undersøgelser, der viser, at det giver livsglæde og fremmer ens trivsel, når man bruger sine topstyrker. Vi tandlæger er vilde med alt, der er evidens for, så det er bestemt noget, jeg vil tage med mig, siger Morten Petersen. Via trivselsforløbet er han blevet klogere på, hvordan han kan bringe topstyrkerne i spil, fx i konfliktsituationer. For ham giver det god mening at bruge styrkerne mere – fx hans øverste topstyrke

– ærlighed:

– Hvis jeg har en besværlig patient, der skal have lavet et meget stort hul, og det er på grænsen til, om tanden kan reddes,

TEAM-FØLELSE. Medarbejderne har været positivt indstillet overfor projektet, selvom de i begyndelsen var lidt skeptiske over, hvad det nu var for noget.

har jeg det bedst med at være ærlig og fortælle, at det godt kan blive et problem at redde den tand. Det er rart at få det afklaret på forhånd frem for at føje patienten og bare sige ”den fixer vi.” For viser det sig hen ad vejen, at den er for dårlig til at redde, er det hverken rart for mig eller patienten, at det først er der, det bliver sagt.

Han tror godt, at han kan få flettet det med meditationen ind i arbejdsdagen, hvis der skulle blive brug for det. Men han kan særligt se fidusen i de mindfulnessøvelser, som personalet også er blevet undervist i – øvelser, der giver ro på nervesystemet ved at få styr på vejrtrækningen.

– Hvis man er i gang med en behandling, der driller, fx en fyldning, der ikke vil, som man selv vil, er det nemt lige at lave åndedrætsøvelsen og ånde langsomt ud på fire sekunder, holde vejret i fire sekunder, trække vejret ind på fire sekunder og til sidst holde vejret i fire sekunder. Så er man mere fokuseret, når man skal arbejde videre, siger han og tilføjer: – Det kunne jeg sagtens forestille mig at bruge fremover.♦

FÅ ET LIV I BALANCE

Er du ved at miste balancen, eller har du en kollega eller medarbejder, du gerne vil hjælpe? Så gør brug af Tandlægeforeningens trivselsunivers "Et liv i balance".

Her kan du få viden og værktøjer til et godt arbejdsmiljø og et balanceret arbejdsliv - og overblik over alle de tilbud, du har som medlem af Tandlægeforeningen, bl.a. gratis psykologhjælp og stresscoach. Se mere på Tdlnet.dk

Uddannet tandlæge fra Københavns Universitet i 2001

Specialtandlæge i ortodonti 2006

Siden ansat i Gentofte Kommune og som klinisk underviser i ortodonti på Odontologisk Institut på Københavns Universitet

MICHAEL SVANHOLT

God undervisning kræver engagerede studerende

TEKST FREJA BECH-JESSEN, FREELANCEJOURNALIST

FOTO THOMAS LEKFELDT

Liselotte Sonnesen spørger:

I en tid, hvor det er udfordrende at rekruttere og fastholde kliniske lærere, hvad er det så, der har gjort, at du har valgt at undervise gennem mange år?

– Jeg gør det først og fremmest, fordi jeg synes, det er dejligt at give noget videre. De studerende er nysgerrige, interesserede og sultne på det, de skal lære. Og det giver en enormt stor glæde at kunne give en viden videre, som andre har brug for. Men samtidig giver undervisningen mig også et godt afbræk fra arbejdet på klinikken, så ikke alle dage bliver ens. Og det oplever jeg faktisk har stor betydning for min arbejdsglæde. Det kliniske arbejde med patienter er i sin natur meget salgs- og præstationsbetinget, mens undervisning går ud på at dykke ned i tankerne og teorierne bag de behandlinger, vi laver. Kommunikationen med de studerende er en helt anden end den med patienter og personale. Det er ikke som at holde fri, for jeg er jo på arbejde, men det er alligevel helt modsat det, jeg laver mest af. Det trives jeg rigtig godt med. Og så forpligter det at undervise. Du bliver nødt til at følge med og vide, hvad der sker, og hvordan faget udvikler sig. Det er godt for både mig og mine patienter.

Hvordan kom du i gang med at undervise?

– Det er ikke sådan, at jeg har følt et kald. Det var helt tilfældigt. Da jeg blev

færdig som ortodontist, fik jeg tre dages ansættelse og stod med to dage, hvor jeg ikke nødvendigvis vidste, hvad jeg skulle. Så da jeg blev tilbudt at undervise, sagde jeg ja, fordi det var den mulighed, der bød sig. Man kører jo med et årshjul på universitetet, så når man har undervist et år, kører møllen bare igen. År efter år. Igen og igen. Og det er der en del, der finder ret enerverende. De synes, det bliver kedeligt, og har det sådan lidt, hvorfor skal jeg egentlig stå her og gentage mig selv? Men jeg oplevede det anderledes. Jeg synes stadig ikke, det er en gentagelse. Det er nye mennesker, der møder op hvert år. Og mødet med dem og hvordan de bedst kan undervises, er nyt og udfordrende hver gang.

En dygtig tandlæge er ikke nødvendigvis dygtig til at lære fra sig. Hvad kræver det at være en god underviser? – Min erfaring har helt klart vist mig, at man har størst succes med at lære fra sig, hvis man møder de studerende der, hvor de er. Og det betyder, at man må indstille sig på, at de studerende ikke bare er en stor grå masse, men mange og forskellige individer, der forstår og tager viden til sig på forskellig vis. Nogle er gode og lynhurtige til at lære, og andre er mindre gode og lidt langsommere. Det er ikke kun i folkeskolen, undervisningen skal tilpasses, men nok i virkeligheden i alle uddannelsesled. Og selvom jeg ikke bevidst går og inddeler de studerende og tilpasser undervisningen, så sker det helt sikkert ubevidst, fordi jeg har fundet ud af, at det simpelthen er sådan, jeg bedst får undervisningen ud over rampen. Og det er jo det, der er

spændende og meningsfuldt. At hjælpe nogle mennesker til at forstå og tage den viden til sig, som de har brug for.

Hvad er den største udfordring ved at undervise?

– Jeg har ingen problemer med, at mennesker lærer forskelligt og i forskelligt tempo, så længe de gør deres bedste og viser interesse og engagement. Men jeg synes, det er udfordrende at møde studerende, der er uengagerede. Der er ikke så mange af dem, så det er ikke et stort problem. Men det er svært at motivere dem, der er umotiverede. God undervisning kræver ikke kun en engageret underviser, men i lige så høj grad engagerede studerende.

Hvem vil du give stafetten videre til og hvorfor?

Rasmus Frich er klinikejer, underviser og far til tre, men finder alligevel tid til at arbejde for sine fagpolitiske mærkesager som bestyrelsesmedlem i Region Hovedstadens Tandlægeforening.

Michael Svanholt spørger:

Hvordan finder du tid til fagpolitik i en travl hverdag, og hvad driver dig?

I Fagstafetten går vi tæt på en tandlæge med en helt særlig drive og passion for sit fag. Månedens tandlæge sender fagstafetten videre til en kollega, der har været en inspiration for ham eller hende.

navne

FYLDER DU RUNDT?

Hvis du ønsker din fødselsdag offentliggjort i Tandlægebladet, skal du give samtykke til det. Det kan du gøre ved at logge ind på Tdlnet.dk dk → vælg ”mine sider” → vælg ”personlige oplysninger” → vælg ”mine samtykker”

Hvis du har spørgsmål, kan du kontakte medlemsregistreringen på e-mail medlemsregistrering@tdl.dk

Fødselsdage 18/9 - 22/10 2024

30

Sofie Gro Hansen, Aalborg, 2. oktober

Malene Kristensen Schulz, Vojens, 3. oktober

Dana Akhiadovna Porshoeva, Odense V, 8. oktober

Teodora Alexandra Anca, Aarhus V, 22. oktober

40

Miklos Daradics, Szekszard, 20. september

Saman Mohsenitavakoli, Vejle, 21. september

Henrik Hedegaard, Kolding, 22. september

Christian Dahlgaard Olesen, Langå, 6. oktober

Annette Quist Hansen, Rungsted Kyst, 8. oktober

Pernille Klok Ingvartsen, Nærum, 14. oktober

50

Tatiana Hughes, Klarup, 19. september

Henriette Bjerrum Møller, Esbjerg V, 20. september

Elham Ikani, Skovlunde, 22. september

Jens Tang Mærkedahl, Gentofte, 25. september

Jane Pagh Skovgård, Vejle Øst, 27. september

Jacob Jørn Slavensky, Sorø, 20. oktober

Flemming Bekker-Gregersen, Holte, 22. oktober

60

Helle Skov Macmillan Kay, Risskov, 9. oktober

Mette Marcussen, Aalborg, 12. oktober

Barbara Ehlert-Jürgensen Holck, Humlebæk, 14. oktober

70

Lene Søborg Marquardsen, Viby Sjælland, 18. september

Hans Thorup Hjulmand, Hørsholm, 19. september

Ole Klitgård Christensen, Svendborg, 23. september

Inge Elisabeth Madsen, Birkerød, 23. september

Birthe Sommer Reumert, Gilleleje, 24. september

Ole Stæhr-Jakobsen, Nykøbing Sj, 2. oktober

Lene Trine Jensen, Valby, 11. oktober

Michael Vejgaard Christensen, Greve, 14. oktober

Annette Hedegaard, Kolding, 16. oktober

Dorte Elisabeth Døstrup, Dragør, 21. oktober

75

Jesper Bunk Fassov, Juelsminde, 22. september

Kjeld Krogh Andersen, Brabrand, 29. september

Søren Lunden, Brønderslev, 1. oktober

Harald Robert Pehrson, Kjellerup, 4. oktober

Poul Erik Brøchner, Odense SV, 8. oktober

80

Helge Bruun Laursen, Vejle Øst, 19. september

Jack Villy Øgendahl, Holstebro, 23. september

Birgit Kofoed Rønne, Frederiksberg, 21. oktober

85

Erik Pedersen, Faaborg, 13. oktober

Benthe Røgind, Holte, 15. oktober

Lyt med på vores nye

podcast

‘Økonomi i praksis’

Har du overvejet samspillet mellem praksis- og privatøkonomi?

I Ringkjøbing Landbobank er vi specialister i praksisfinansiering, og vi har over 20 års erfaring med at rådgive læger og tandlæger om både praksis- og privatøkonomi.

Vores rådgivning bygger på tillid, og vi har et stort fokus på at skabe tætte relationer til vores kunder. Når du kontakter os, vil du opleve en nærværende dialog –og derefter er vi til stede igennem hele processen.

Praksisfinansiering

T: 76 249 385 | praksis@landbobanken.dk

Er du blevet nysgerrig?

Kontakt os for en uforpligtende snak om dine ønsker og muligheder på 76 249 385 eller skan QR-koden og bliv inspireret i vores nye podcast.

Du kan læse mere på landbobanken.dk/praksis

Skan og lyt

Skal du med til Symposium 2024?

Du kan stadig nå at tilmelde dig efterårets vigtigste event for tandlæger, tandplejere og klinikassistenter.

Få konkrete redskaber til at træffe de bedste beslutninger for patienter med komplekse sygdomsbilleder og medicinering

Symposium 2024 giver dig unikke værktøjer til at navigere sikkert i det tværfaglige samarbejde mellem læger og tandlæger.

Tilmeld dig på tdlnet.dk eller tandlaegeforeningen.dk

kollegahjælp

TANDLÆGEFORENINGENS KOLLEGAHJÆLP formidler gratis og anonym hjælp til medlemmer i krise.

Region Hovedstaden

Marie Winding Turpinsvej 2

2605 Brøndby Tlf. 36 75 48 75

Region Sjælland

Thomas Hjorth Platanvej 1

4684 Holmegaard

Tlf. 55 54 64 49 – 42 700 500

Louise Vilhelmsdal Søndergade 10

4800 Nykøbing F.

Tlf. 54 86 00 86 – 22 93 85 11

Region Syddanmark

Michael Rasmussen Gl. Vardevej 191 6715 Esbjerg N

E-mail:

mr.mr.rasmussen@gmail.com

Tlf. 75 13 75 13

Niels Holgersson Søndergade 13 C 6000 Kolding info@tdl-holgersson.dk Tlf. 75 52 74 34

Peter Boch Stadionvej 32 6510 Gram Tlf. 74 82 12 12 – 24 27 02 23

Region Midtjylland

Tina El-Dabagh Tordenskjoldsgade 37, 1. th 8200 Århus N E-mail: tinaeldabagh@hotmail.com Tlf. 86 16 85 10

Region Nordjylland

Majbritt Jensen Strandvejen 3 9000 Aalborg Tlf. 20 77 32 66

Tandlægeforeningen

Region Grønland

Karen Haarbo-Nygaard Tuapannguit 40 3900 Nuuk E-mail: karenhaarbo@yahoo.com Tlf. (+299) 547373

TandlægeTryghed

Pia Lindholm

Britt Betina Jørgensen Svanemøllevej 85 2900 Hellerup Tlf. 39 46 00 80

Tandlægeforeningen

Vivian Riel Amaliegade 17 1256 København K Tlf. 70 25 77 11

Ved alkohol- og misbrugsproblemer

Halsnæs Alkoholambulatorium Ambulatorieleder

Charlotte H. Seidler Tlf. 28 59 02 08

Psykologhjælp

Erhvervspsykologisk Rådgivning v/erhvervspsykolog

Majken Blom Søefeldt Kontakt TandlægeTryghed på: Tlf. 39 46 00 80

Mail: dagpenge@tdlt.dk

kollegiale henvisninger

Henvendelse angående kollegiale henvisninger

Tina Andersen, tlf. 33 48 77 33, e-mail: ta@tdl.dk

Pris: kr. 39,00 pr. mm + moms pr. gang.

Annoncer tegnes for 12 numre (1 år ad gangen).

Der faktureres for et halvt år ad gangen i juni måned og i december måned.

Tandlægeforeningen påtager sig ikke ansvar for om kolleger, der annoncerer under kollegiale henvisninger, besidder de fornødne kvalifikationer.

Annoncering under kollegiale henvisninger er forbeholdt medlemmer af Tandlægeforeningen.

Adipositas

Tandklinikken Ravn

• Behandling af overvægtige patienter op til 350 kg. Patienterne kan køres ind, men skal kunne gå de sidste 4 m til stolen

• Handicapvenlig parkering og indgang

Strøby Egede Center 15 4600 Køge

Tlf. 56 26 72 77 www.tandklinikkenravn.dk

Behandlingscentre

Hausergaarden I/S

Specialuddannede tandlæger

Hauser Plads 20, 2 (elevator) 1127 København K

v/Nørreport Station

Tlf. 33 15 15 34 info@hausergaarden.dk www.hausergaarden.dk

• Endodonti * komplicerede

• Implantologi * Komplikationer

• Kirurgi * Knogle-opbygning

• Æstetik * Rekonstruktioner

• Protetik * Narkose

John Orloff

Dip. Imp Dent Adv RCS (Eng)

Jens Kristiansen

MSc Endo KCL (Eng)

Adam Gade Ellesøe

MSc Imp Dent (URJC)

Colosseumklinikken

Kongens Nytorv Østergade 1

1100 København K

Tlf. 33 12 24 21/Fax 33 33 99 90 kongensnytorv@colosseumklinikken.dk www.colosseumtand.dk

• Bidfunktion.

• Bidrekonstruktion.

• Implantologi, Invisalign.

• Knogleopbygning, Kirurgi.

• Parodontal kirurgi.

• Mikrokirurgi.

• Protetik, Æstetik, Endodonti.

• Panoramarøntgen.

• Cone-Beam scanning.

• LiteWire.

Kenneth Vikkelsø Jordy

Lennart Jacobsen

Clara Marie Bjerre Windeløv

Andreas Stavropoulos

Lars Bo Petersen

Gry Hegelund Olsson

Jesper Klinck Pedersen

Thomas Groth-Lauritsen

TBT - www.tbt.dk klinik@tbt.dk

Tlf. 38 60 20 20

• Invisalign

• Kosmetisk makeover

• Implantologi

• Bidrehabilitering

Bidfunktion

Jylland

Brædstrup Implantatcenter

Birgitte Skadborg

Tlf. 75 75 12 36 www.implantatcenter.dk Bidfunktion og oral bidrehabilitering

Tømmergårdens Tandlæger

Steen Rosby Stationsvej 1, 6880 Tarm Tlf. 97 37 15 15 info@rokketand.dk

• Behandling af funktionelle lidelser i tyggeorganet.

Sjælland

Stylvig

H.C. Ørsteds Vej 50C 1879 Frederiksberg C Tlf. 33 24 85 85 forum@tandlaegen.dk

Tandlæge Katharina Axtmann

Farum Hovedgade 15, 1. Tlf. 31 72 83 56 Info@axtmann.dk

Tandlæge Betina Grønbæk ApS

Betina Grønbæk Stjernegade 22 1 tv

3000 Helsingør Tlf. 49 21 99 60 info@stjernegade22.dk

Dental og maksillofacial radiologi

Tandlægerne Fyrvej, Esbjerg CBCT-scan og panorama Tandlægerne Fyrvej Fyrvej 26 6710 Esbjerg V Tlf.: 75 15 06 00 www.fyrvej.dk

Aarhus Tandlægeskole

• CBCT og panorama-undersøgelse Henvisning og prisliste på dent.au.dk/tandlaegeskolen/forfagfolk

Colosseumklinikken Kongens Nytorv

• CBCT, panorama, beskrivelser. Lars Bo Petersen ph.d Østergade 1

1100 København K Tlf. 33 12 24 21 kongensnytorv@colosseumklinikken.dk www.colosseumklinikken.dk

SpecialTandlægeCenter

Gentofte v/ specialtandlæge

Pernille Egdø

• Implantater, knogleopbygning, amotio, rodresektion, autotransplantation

• Panorama/OTP CBCT/3D Baunegårdsvej 7 L, 2820 Gentofte Tlf. 39 64 65 14 www.kaebekirurg.dk pernille@kaebekirurg.dk

Specialtandlægerne v. Søren Schou, Aarhus

• Panorama og CBCT (3D), inkl. beskrivelse af Hanne Hintze, dr.odont. www.sptand.dk

Tandlægeskolen

Afd. for Radiologi

Panorama og kranieoptagelser samt Cone-Beam scanning. (spec. implantatbehandling og kæbeled)

Henvisningsblanket hentes på http://odont.ku.dk/specialklinik/radiologi/henvisn_rtg/ og faxes eller sendes til afdelingen. Nørre Allé 20, 2200 Kbh. N. Tlf. 35 32 69 05/Fax 35 32 67 73

Tandlægen.dk Roskilde

Sahar Talebi (Msc i Oral Radiologi)

• CBCT, panorama og beskrivelse Algade 52, 1. 4000 Roskilde Tlf. 46 35 33 13

NORD Specialtandlæger

Kongens Lyngby

Henvisningsklinik

Kirurgi, implantologi, Endodonti, Protetik, Parodontologi & Oral medicin.

Klampenborgvej 221, 2. sal 2800 Kongens Lyngby

Tlf: 88 88 80 00 www.nord.dk

Implantater

Fyn

Centrum Tandlægerne

Odense og Middelfart

B. Pade

N. Pade

Tlf. 66 12 62 26 – 64 40 24 03

• Implantater, protetik, kirurgi. www.centrumtandlaegerne.dk

Oris Tandlægerne

Slotsgade 21, 5000 Odense C Tlf. 66 11 44 33

slotsgade21@oris.dk

• Panoramarøntgen

• CBCT (3D)

Jylland

Aarhus Implantat Center

Klostergade 56, 8000 Aarhus C Tlf. 86 12 45 00

Hermodsvej 22, 8230 Åbyhøj Tlf. 70 22 35 53 www.implantatcentret.dk

Brædstrup Implantat Center

John Jensen

Martin Dahl

Jens Hartlev

Kristoffer Schwartz

Martin Saaby

Birgitte Skadborg

• Implantologi, kirurgi, narkose

• Protetiske rekonstruktioner

• 3D scanning Tinghuspladsen 6

8740 Brædstrup Tlf. 75 75 12 36

E-mail: tandlaegehuset@ implantatcenter.dk www.implantatcenter.dk

Herning Implantat Center

Louise Kold & Simon Kold

Bryggergade 10

7400 Herning Tlf. 97 12 03 99 www.herningimplantatcenter.dk

• Kirurgi og protetik.

• Mulighed for narkose

KOHBERGTANDKLINIK.DK

Peter Kohberg

• Implantatcenter

• Speciale: immediat implantologi

• Kirurgi og protetik Jernbanegade 6 6360 Tinglev Tlf. 74 64 20 00 www.Kohbergtandklinik.dk mail@Kohbergtandklinik.dk

Kolding Implantat Center

Jens Thorn, specialtandlæge

Henrik Hedegaard

ORIS Tandlægerne Kolding Banegårdspladsen 9 6000 Kolding Tlf. 81 18 81 18 www.ORIS.dk/kolding

• Kirurgi og protetik

Tandlægerne Fyrvej

Specialtandlæge

Kristian Thesbjerg Fyrvej 26

6710 Esbjerg V Tlf. 75 15 06 00 rtg@fyrvej.dk www.fyrvej.dk

Bredt Smil Haderslev

Puk Bergmann

Nørregade 11

6100 Haderslev

Tlf. 74 52 22 49 6100@bredtsmil.dk

dinTANDLÆGE Brande

Torben Lillie

• Immediat implantologi

• Kirurgi og protetik Torvegade 8

7330 Brande

Tlf. 97 18 00 79 www.dintandlaege-brande.dk brandetand@brandetand.dk

Risskov Implantatklinik

– Tandlægerne Risskov v/Ulrik Holm-Christoffersen MSc. Impl.

Immediat implantologi. Blødvævskirurgi

• Implantater, knogleopbygning, Amotio, Retrograd.

• Straumann, Nobel, Ankylos, Astra.

Rolighedsvej 30, Risskov. Tlf. 70 70 55 25 info@tandlaegernerisskov.dk

Sjælland

Tandlægen.dk Roskilde

Maziar Talaeipour

Algade 52, 1., 4000 Roskilde Tlf. 46 35 33 13

• www.tandlaegen.dk/Roskilde

Klinikken Vestergade

- specialtandlæger i kæbekirurgi

Jesper Jared Secher, specialtandlæge, Ph.d. Jesper Bak, specialtandlæge Andreas Riis, specialisttandläkare i endodonti

Obels Gaard, Vestergade 2 1456 København K Tlf. 33 15 48 99 www.klinikkenvestergade.dk

SpecialTandlægeCenter Gentofte v/ specialtandlæge Pernille Egdø

• Implantater, knogleopbygning, amotio, rodresektion, autotransplantation

• Panorama/OTP CBCT/3D

Baunegårdsvej 7 L, 2820 Gentofte Tlf. 39 64 65 14 www.kaebekirurg.dk pernille@kaebekirurg.dk

Specialtandlægerne Bredgade

Specialtandlæge Lars Pallesen www.bredgade.dk eller info@bredgade.dk Knogle- og blødtvæv. Enkelttand, bro, fuldkæbe. Narkose

Specialtandlægerne i kæbekirurgi i Lyngby Thomas Kofod ph.d. Ole Schwartz ph.d. Niels Ulrich Hermund ph.d Rasmus Kuniss-Kriegbaum Even Nisja

• Alt indenfor tand,- mund,- og kæbekirurgi De fleste typer implantater og rekonstruktioner. tandlægen.dk Lyngby & Implantatcenter Lyngby Hovedgade 27, 3. sal 2800 Kgs. Lyngby

Send henvisning over ediportalen 45870190 eller henvisningsblanket på hjemmesiden: https://tandlaegen.dk/lyngby/ lyngby-hovedgade/henvisning/

NORD Specialtandlæger Kongens Lyngby Henvisningsklinik Kirurgi, implantologi, Endodonti, Protetik, Parodontologi & Oral medicin.

Klampenborgvej 221, 2. sal 2800 Kongens Lyngby Tlf: 88 88 80 00 www.nord.dk

Mobilkirurgi ved Søren Schiff Tlf. 28 79 19 76 Kirurgi udføres på jeres klinik i hele landet uden indflydelse af klinikkens egen drift.

Kirurgi

Fyn

Klinik for Kæbekirurgi, Odense Kæbekirurger, Ph.D. Torben Thygesen Gregory Tour 50 65 62 66 tht@klinik-vs15.dk www.klinik-vs15.dk

Tanlægen.dk, Centrum Odense

Peter Marker Specialtandlæge Grønnegade 16, 5000 Odense C Tlf 66 12 62 26 Mail: centrum-odense@tandlaegen.dk www.tandlaegen.dk/odense Kirurgi, implantater, narkose

Jylland

Brædstrup Implantat Center

John Jensen

Martin Dahl Jens Hartlev

Kristoffer Schwartz

Martin Saaby Tinghuspladsen 6 8740 Brædstrup Tlf. 75 75 12 36 www.implantatcenter.dk

Oris Tandlægerne

Kolding

Specialtandlæge, ph.d.

Jens Thorn

Banegårdspladsen 9

6000 Kolding Tlf. 81 18 81 18

Mail. Kolding@oris.dk

Kirurgiklinik

– Klinik f. TMK-kirurgi

Lone Lenk-Hansen

Thomas Urban Hermodsvej 22, 8230 Åbyhøj Tlf. 70 22 35 53 www.kirurgiklinik.dk

Tandlægerne Fyrvej Specialtandlæge

Kristian Thesbjerg Fyrvej 26, 6710 Esbjerg V Tlf. 75 15 06 00 rtg@fyrvej.dk www.fyrvej.dk

Tandlægerne Silkeborgvej 297 Specialtandlæge

Lambros Kostopoulos

• Implantatbehandling samt knogleopbygning med membran.

• Rekonstruktiv knogle- og blødtvævskirurgi. Behandling af periimplantitis

Silkeborgvej 297, 8230 Åbyhøj Tlf. 86 15 43 44

Tandlægerne Kold

Louise Kold

Simon Kold

Bryggergade 10 7400 Herning Tlf. 97 12 03 99 www.tandherning.dk

E-mail: post@tandherning.dk

• Mulighed for narkose

Specialtandlægerne

V. Søren Schou, Aarhus

• Oral kirurgi og implantater, inkl. narkose

Søren Schou, dr.odont.

Helle B. Nielsen, ph.d.

Karen J. Nissen

Martin Saaby

Otto Schmidt www.sptand.dk

medlemsservice

Sjælland

SpecialTandlægeCenter

Gentofte v/ specialtandlæge

Pernille Egdø

• Implantater, knogleopbygning, amotio, rodresektion, autotransplantation

• Panorama/OTP CBCT/3D Baunegårdsvej 7 L, 2820 Gentofte Tlf. 39 64 65 14 www.kaebekirurg.dk pernille@kaebekirurg.dk

Kæbekirurgisk Klinik

Niels Ulrich Hermund, ph.d., Kæbekirurg

Esben Aagaard, kæbekirurg

Søren A. C. Krarup, Kæbekirurg

Hovedvagtsgade 8, 3. sal 1103 København K Tlf. 33 12 24 04

W: kæbekirurgiskklinik.dk

Rodresektioner

• Cyster og tumorer

• Slimhindeforandringer

• Fjernelse af tænder

• Knoglerekonstruktion

• Straumann, Astra og Nobel

• Nervelateralisering

• Generel anæstesi

Specialtandlægerne Sjælland, Solrød ApS

v/ Tore Lefolii og Morten Dahl Solrød Center 45, 1. 2680 Solrød Strand Tlf. 56 16 75 00 www.spsj.dk

• TMK-kirurgi og implantatbeh.

• Kirurgi på børn og unge med fokus på ortodonti

Klinikken Vestergade

- specialtandlæger i kæbekirurgi

Jesper Jared Secher, specialtandlæge, Ph.d.

Jesper Bak, specialtandlæge Andreas Riis, specialisttandläkare i endodonti

Obels Gaard, Vestergade 2 1456 København K Tlf. 33 15 48 99 www.klinikkenvestergade.dk

Specialtandlægerne Bredgade www.bredgade.dk eller info@bredgade.dk

Klinik for Kirurgi og Endodonti

Vibe Rud

Thomas Foldberg

Puggaardsgade 17, st. 1573 København V Tlf. 33 14 83 86

Online henvisning via www.endokir.dk

Specialtandlægerne Sjælland

København, Roskilde, Kalundborg

• Dentoalveolær kirurgi

• Oral rehabilitering

Specialtandlæger i Tand-, Mund- og Kæbekirurgi:

• Tore Tranberg Lefolii

• Simon Storgård Jensen, dr.odont

• Jesper Øland Petersen, ph.d

• Libana Raffoul Bjørnstrup

• Karoline Brørup Marcussen

• Even Nisja Protetikere:

• Klaus Gotfredsen, dr. og lic.odont

• Brian Møller Andersen www.spsj.dk

E-mail: klinik@spsj.dk

Tlf. 70 22 52 30

Specialtandlægerne i kæbekirurgi i Lyngby

Thomas Kofod ph.d.

Ole Schwartz ph.d.

Niels Ulrich Hermund ph.d

Rasmus Kuniss-Kriegbaum

Even Nisja

• Alt indenfor tand,- mund,- og kæbekirurgi

• De fleste typer implantater og rekonstruktioner.

tandlægen.dk

Lyngby & Implantatcenter

Lyngby Hovedgade 27, 3. sal

2800 Kgs. Lyngby

Send henvisning over ediportalen 45870190 eller henvisningsblanket på hjemmesiden: https://tandlaegen.dk/lyngby/ lyngby-hovedgade/henvisning/

NORD Specialtandlæger

Kongens Lyngby

Henvisningsklinik

Kirurgi, implantologi, Endodonti, Protetik, Parodontologi & Oral medicin.

Klampenborgvej 221, 2. sal 2800 Kongens Lyngby

Tlf: 88 88 80 00 www.nord.dk

Specialtandlæge i tand-, mund og kæbekirurgi

Rannvá Matras, PLUS1 Tandlægeklinik

Kbh v. Tivoli og Rødovre Centrum Tlf. 36 70 76 00 www.plus1.dk/henvisning Narkose

Fyn

Centrum Tandlægerne

Danmarks Implantatcenter

Odense klinikken

Tlf. 66 12 62 26

info@centrumtandlaegerne.dk

Middelfart klinikken

Tlf. 64 40 24 03 middelfart@ centrumtandlaegerne.dk www.centrumtandlaegerne.dk

Jylland

Brædstrup Implantat Center

Tlf. 75 75 12 36 www.implantatcenter.dk

Tandlægerne Kold

Louise Kold

Simon Kold

Bryggergade 10

7400 Herning

Tlf. 97 12 03 99

E-mail: post@tandherning.dk

• Patienter modtages til behandling i narkose. Alm. tandbehandling, kirurgi og implantatbehandling.

Centrum Tandlægerne

Danmarks Implantatcenter Aarhus klinikken

Tlf.: 86 13 26 36 aarhus@centrumtandlaegerne.dk www.centrumtandlaegerne.dk

Tandlægerne Fyrvej

Fyrvej 26

6710 Esbjerg V

Tlf. 75 15 06 00 rtg@fyrvej.dk www.fyrvej .dk

Patienter modtages til behandling i narkose. Alm tandbehandling, kirurgi og implantatbehandling

Sjælland

Specialtandlægerne Sjælland, Solrød ApS v/ Tore Lefolii og Morten Dahl Solrød Center 45, 1. 2680 Solrød Strand

Tlf. 56 16 75 00 www.spsj.dk

• TMK-kirurgi og implantatbeh.

• Kirurgi på børn og unge med fokus på ortodonti

Tandlægecentret Svanen v/tandlæge Per Bjørndal Lyngby Hovedgade 27, 4. 2800 Lyngby

Tlf. 45 88 96 88/Fax 45 88 91 69 www.svanetand.dk

Tandlægerne i Carlsro

Tårnvej 219

2610 Rødovre

Tlf. 36 70 31 67 www.carlsrotand.dk

Tandlægerne i Gl. Skovlunde

Kildestrædet 108

2740 Skovlunde

Tlf. 44 92 01 01

• Patienter modtages til alm. tandbehandling, kirurgi og implantatbehandling i narkose.

• Der er mulighed for at leje sig ind.

Tandlægen.dk Hundige Strandvej

Hundige Strandvej 182

2670 Greve

Tlf. 43 90 15 15 hundigestrandvej182@tandlaegen.dk

Alle former for behandling tilbydes.

NORD Specialtandlæger

Kongens Lyngby

Henvisningsklinik med anæstesi team til GA og IV-sedation. Kirurgi, implantologi, Endodonti, Protetik, Parodontologi & Oral medicin.

Klampenborgvej 221, 2. sal 2800 Kongens Lyngby Tlf: 88 88 80 00 www.nord.dk

Odontofobi

Maj-Britt Liliendahl

Højbro Plads 5, 2. sal 1200 København K Tlf. 33 12 14 38

Ortodonti

Jylland

Tandregulering

Ane Falstie Juul

Nørgårds Allé 11, 1. 7400 Herning Tlf. 97 12 59 00

• Specialtandlæge i ortodonti

Brædstrup Implantatcenter

Carsten Lemor Tlf. 75 75 12 36 www.implantatcenter.dk

Specialtandlægerne

Aarhus Tandregulering

Morten G. Laursen

Janne Grønhøj

Susanna Botticelli

Frederiks Allé 93

8000 Aarhus C Tlf 86 12 17 66 mail@specialtandlaeger.dk www.specialtandlaeger.dk

Tandreguleringshuset

Kim Carlsson

Jens Kragskov

• Specialtandlæger i ortodonti

Jyllandsgade 79 C, 1. sal

6700 Esbjerg

Tlf. 76 13 14 80

Tandreguleringsklinikken

Lisbeth Nielsen, Specialtandlæge, ph.d.

Christian Iversen, Specialtandlæge Tandreguleringsklinikken

Toldboden 1, 5C

8800 Viborg

Tlf. 86 62 76 88

• Specialtandlæge i ortodonti post@tandreguleringsklinikken.dk www.tandreguleringsklinikken.dk

Specialtandlægecenter

Vestjylland

Søren Povlsen

Stationsvej 35a

7500 Holstebro

Tlf. 97 84 05 88 www.tandregulering.com

• Specialtandlæge i ortodonti

Sjælland

Harry Fjellvang

Specialtandlæge, ph.d.

• Specialklinik for tandregulering Tlf. 33 93 07 23 www.tandregulering.info mail@tandregulering.info

Specialtandlæge i Holte

• Specialtandlæge i ortodonti

Lone Møller

Holte Stationsvej 6, 1. sal, 2840 Holte Tlf. 45 42 16 88 www.holtetandreguleringsklinik.dk

Specialtandlægerne

• Specialtandlæger i ortodonti

Michael Holmqvist Rosenborggade 3, 1. 1130 København K Tlf. 33 12 32 12 orto@specialtandlaegerne.dk

Specialtandlægerne i Roskilde

• Specialtandlæger i ortodonti Søren Wiborg Lauesen

Jens Fog Lomholt Algade 12, 4000 Roskilde Tlf. 46 36 50 33 www.specialtandlaegerne.com

Tandlægerne i Vangede

Specialtandlæge i ortodonti

Lene Hansen

Vangede Bygade 63, 1. sal 2820 Gentofte Tlf. 39 65 34 31 www.vangedetand.dk

Tandlægen.dk Hundige Strandvej

Specialtandlæge Glen Happel

Hundige Strandvej 182 2670 Greve Tlf. 43 90 15 15 hundigestrandvej182@tandlaegen.dk

Parodontalbehandling

Fyn

Oris Tandlægerne

Det Gule Pakhus

Mette Rylev, ph.d. Havnepladsen 3b 5700 Svendborg Tlf. 62 21 20 09 E-mail: detgulepakhus@oris.dk www.oris.dk/svendborg

Jylland

Brædstrup Implantat Center

Camilla Kristensen Tlf. 75 75 12 36 www.implantatcenter.dk

Tandlægerne på Store Torv

Lone Sander, ph.d. Mette Rylev, ph.d. Mette Kjeldsen, ph.d. Martin Persson (protetik) Store Torv 6, 3. 8000 Århus C Tlf. 86 12 73 50 http://tdl-storetorv.dk

Tandlægerne Aarhus Ø Anders Heide

Rodrigo López, ph.d., dr.odont. Esther Aggebos Gade 2 8000 Aarhus C Tlf. 73 70 85 00 t@ndlæge.dk

Sjælland

Københavns Paradentoseog Implantat Klinik

Marianne Hoffmeyer, M.S., Diplomate Board Certified Periodontist (USA) Strøget, Kbh K. Tlf. 33 13 66 60 www.strogettand.dk

Tandlægen.dk Roskilde Maziar Talaeipour

-Parodontal kirurgi bla. regenerativ behandling

-Mikro kirurgi (paradontal plastikkirurgi)

-Behandling af periimplantitis Algade 52, 1., 4000 Roskilde Tlf. 46 35 33 13 www.tandlaegen.dk/Roskilde

Colosseumklinikken Kongens Nytorv Andreas Stavropoulos Østergade 1 1100 København K Tlf. 33 12 24 21 kongensnytorv@colosseumklinikken.dk www.colosseumtand.dk

Colosseum Tandlægerne Rosenborggade København Rosenborggade 3, 2. 1130 København Tlf. 33 11 39 66

E-mail: noerreport@colosseumklinikken.dk www.colosseumklinikken.dk

Tandklinikken Ravn Nørregade 9 og Strøby Egede Center 15 4600 Køge Tlf. 56 65 25 09 – 56 26 72 77 www.tandklinikkenravn.dk

Specialtandlægerne Bredgade

Christian Damgaard, ph.d. www.bredgade.dk eller info@bredgade.dk

Parodontitis, peri-implantitis, regenerativ parodontalkirurgi, CBCT, narkose

Nord Specialtandlæger

Daniel Midjord-Belstrøm, professor, dr. odont, ph.d.

Diagnostik og parodontalkirurgi Henvisningsklinik med anæstesi team til GA og IV-sadation. Kirurgi, implantologi, Endodonti, Protetik, Parodontologi & Oral medicin.

Klampenborgvej 221, 2. sal 2800 Kongens Lyngby Tlf: 88 88 80 00 www.nord.dk

Protetik

ORIS Tandlægerne

Steen Bjergegaard

Slotsgade 21, 5000 Odense C Tlf. 66 11 44 33 slotsgade21@oris.dk

• Fast protetik, inkl. implantatforankret protetik

Rodbehandling

Brædstrup Implantatcenter

Christian Dalby Tlf. 75 75 12 36 www.implantatcenter.dk

Tandlægen.dk Bagsværd

• Endodonti

Christian Bruun Møller Bagsværd Hovedgade 99, 1. sal, 2880 Bagsværd Tlf. 44 98 34 20

Mail: bagsvaerd@tandlaegen.dk www.tandlaegen.dk/bagsværd

Colosseum Tandlægerne Kongensgade Odense Kongensgade 54 5000 Odense Tlf. 66 11 67 01 odense@colosseumklinikken.dk Ref. Kirsten Rysgaard

Vesterbro TandlægeCenter

Niels Bruun

Kasper Bruun

Vesterbrogade 37, 2.tv 1620 København V Tlf.: 33 24 79 33 info@vesterbrotandcenter.dk

Tandlægen.dk Allerød • Udelukkende endodonti

Younes Alipanah Torvestrædet 27 3450 Allerød Tlf. 48 17 24 25 j.buchgreitz@gmail.com

Tandlægen.dk Bagsværd • Retrograd endodonti

Jens Tang Bagsværd Hovedgade 99, 1. sal. 2880 Bagsværd Tlf. 44 98 34 20 Mail: bagsvaerd@tandlaegen.dk www.tandlaegen.dk/bagsværd

RodbehandlingsCenter.dk v/ Thomas Harnung

Vester Farimagsgade 1, 3. sal. 1606 København V www.endo-henvisning.dk Tlf. 44 44 44 11

Colosseumklinikken

Kongens Nytorv Kenneth Vikkelsø Jordy Østergade 1 1100 København K. Tlf. 33 12 24 21 kj@colosseumklinikken.dk kongensnytorv@colosseumklinikken.dk www.colosseumtand.dk

Tandlægerne Fyrvej

Søren Grønlund Fyrvej 26

6710 Esbjerg V Tlf: 75 15 06 00 rtg@fyrvej.dk www.fyrvej.dk

Tandlægerne

Hedegaard & Kjærgaard

Thomas Hedegaard

Storegade 3, 8382 Hinnerup Tlf. 86 98 56 26 E-mail: henvisning@storegade3.dk www.storegade3.dk

• Ortograd og kirurgisk endodonti

Tandklinikken Perlegade 13 ApS

Tom Lykke Gregersen Perlegade 13 6400 Sønderborg Tlf. 74 42 84 42 tandlaege@perletand.dk www.perletand.dk

Oris Tandlægerne

Det Gule Pakhus Vitus Jakobsen Havnepladsen 3b

5700 Svendborg

Tlf. 62 21 20 09

E-mail: detgulepakhus@oris.dk www.oris.dk/svendborg

Colosseum Tandlægerne Slotsgade Odense

Anders Burgaard

Slotsgade 18

5000 Odense C Tlf.: 66 11 96 46

Henvisninger:

EDI: Tandlæge Anders Burgaard ApS Sikkermail: ab@slotsgade18.dk

Risskov Tandklinik

Mads Juul

Dybbølvej 25, 8240 Risskov Tlf. 86 17 83 22 Henvisning modtages via EDI www.risskovtand.dk

Specialtandlægerne Bredgade www.bredgade.dk eller info@bredgade.dk

Mikroskopvejledt endo, stiftopbygning ifm. endodonti, CBCT, narkose

Tandlægen.dk – Greve

• Endodonti

Anders Vilmann, ph.d. Tlf. 43 43 98 98 greve@tandlaegen.dk

Tandlægerne Rådhusstrædet

Mads Bojer

Rådhusstrædet 12A, 7430 Ikast E-mail: mads@tandikast.dk

Tandlægerne i Støden, Kasper Holm Busk

Støden 6, st., 4000 Roskilde Tlf. 46 36 64 00 info@tandlaegerneistoden.dk

NORD Specialtandlæger

Kongens Lyngby

Younes Alipanah, Msc i endodonti

Sune Demant, ph.d. og Msc i endodonti

Henvisningsklinik med anæstesi team til GA og IV-sedation.

Kirurgi, implantologi, Endodonti, Protetik, Parodontologi & Oral medicin.

Klampenborgvej 221, 2. sal 2800 Kongens Lyngby

Tlf: 88 88 80 00 www.nord.dk

Tandlægehuset Skjern

Erling Kristensen

Bredgade 30, 6900 Skjern www.tandlaegehuset-skjern.dk

Æstetisk tandpleje

Hausergaarden

John Orloff

• Æstetik * eget dental lab. Se under behandlingscentre www.hausergaarden.dk

Colosseumklinikken

Kongens Nytorv

Lennart Jacobsen

Thomas Groth-Lauritsen Østergade 1 1100 København K Tlf. 33 12 24 21 kongensnytorv@colosseumklinikken.dk www.colosseumtand.dk lja@colosseumklinikken.dk tgl@colosseumklinikken.dk

Vil du være blandt branchens dygtigste?

- så er tandlægen.dk måske din næste arbejdsplads

Ifølge vores medarbejdere er der mange fordele ved at være ansat hos Danmarks største tandlægekæde.

Du får et stort netværk til sparring og får mulighed for at udvikle dig fagligt gennem kurser og efteruddannelse. På den måde er du altid på forkant med den nyeste viden inden for faget og får mulighed for at specialisere dig inden for din ønskede retning.

Den daglige vidensdeling udvikler dig

Udover at deltage i kurser og efteruddannelse vil dine nye kolleger også inkludere nogle af landets dygtigste behandlere indenfor alle tandlægefagets ekspertiseområder.

Derudover mødes alle medarbejdere hos tandlægen.dk en gang årligt til en dag i læringens tegn. Her netværker vi og suger viden til os fra nogle af landets førende fagspecialister.

Vi har plads til diguanset din anciennitet

Vi ansætter tandlæger med forskellige profiler og karrieremæssige ønsker. Derfor er der plads til dig, uanset om du er nyuddannet, har nogle års erfaring eller har specialiseret dig inden for et specifikt behandlingsområde.

Se vores ledige stillinger HER

Se dine kommende kolleger fortælle, hvad der gør tandlægen.dk til en god arbejdsplads HER

Jeg får en bred palette af kurser, hvor flere også hænger sammen over længere tid. Muligheden for at kunne specialisere sig betyder, at jeg altid kan udvikle mig inden for faget. Selvom jeg kun har været ansat i nogle få måneder hos tandlægen.dk, har jeg allerede svært ved at se mig selv arbejde et andet sted.

Jacob Høxbroe, tandlæge hos tandlægen.dk Karise

farver Hvid ... alle i 1 sprøjte!

3 viskositeter –uendeligt mange muligheder

Den patenterede Smart Chromatic Technology

i OMNICHROMA sikrer en trinløs farvetilpasning fra A1 til D4 vha. strukturfarven. Hertil kommer 3 forskellige viskositeter til alle præferencer og anvendelsesområder. Med OMNICHROMA-serien får brugeren således alle tænkelige valgmuligheder med et minimum af materiale.

OMNICHROMA –Alt, hvad der er brug for til moderne fyldninger.

Mere:

kunstige farvepigmenter, tilpasses ”automatisk” tandens farve

Bis-GMA–fri formel for bedre biokompatibilitet

bæredygtigt lager

bestil kun 1 farve & og undgå udløbne specialfarver

stillinger

Henvendelse angående rubrikannoncer

Tina Andersen, tlf. 33 48 77 33, e-mail: ta@tdl.dk

Pris

Stillingsopslag kr. 36,00 pr. spaltemm.

Køb & salg kr. 28,00 pr. spaltemm.

Brugtbørsen kr. 24,00 pr. spaltemm.

Bureauprovision ydes ikke for annoncer indrykket gennem bureau.

Stillingsopslag i udlandet modtages ikke under billetmrk.

Sidste frist for indrykning af rubrikannoncer

Tandlægebladet nr. 10 2024: 7/10. Udkommer: 22/10.

Tandlægebladet nr. 11 2024: 4/11. Udkommer: 19/11.

Tandlæge søges til klinik i Grenaa pr. 1/11

Da vores tandlæge gennem 10 år søger nye udfordringer, søger vi pr. 1.11 en engageret tandlæge til at varetage en del af vores patienter.

Stillingen er på 30 timer fordelt på 4 dage om ugen. Arbejdsdagen byder på et bredt udsnit af behandlinger, hvilket betyder en spændende, varierende og udfordrende arbejdsdag med sparring blandt klinikkens øvrige personale.

Klinikken består af 1 tandlæge, 1 tandplejer og 3 klinikassistenter, der tilsammen udgør et erfarent og kompetent team, hvor vi også lægger vægt på et godt arbejdsklima og trivsel på klinikken.

Har du lyst til at indgå i vores dagligdag, hører vi meget gerne fra dig.

Send ansøgning og CV til:

Tandlægehuset Grenaa

N.P. Josiassensvej 6

8500 Grenaa

Mail: Info@tandgrenaa.dk

Ansættelseskontrakter for ansatte tandlæger Ifølge loven skal du som ansat have en ansættelseskontrakt, der beskriver alle relevante forhold for ansættelsen.

Offentligt ansatte tandlægers ansættelseskontrakt skal henvise til den relevante overenskomst, mens lønnen som regel vil fremgå af en særskilt lønaftale. Lønaftalen indgås af Tandlægeforeningen efter aftale med dig.

Privat ansatte tandlæger har ingen gældende overenskomster, men når du bruger Tandlægeforeningens standardkontrakter, bliver lovens betingelser opfyldt. Kontakt altid Tandlægeforeningen, inden du skriver kontrakten under. Læs mere om ansættelseskontrakter på Tdlnet.dk

quickannoncer

Klinik i Køge søger tandplejer, 30 timer

QUICK NR. 14829

Klinik i Hjørring søger tandlæge til barselsvikariat. Mulighed for fastansættelse

QUICK NR. 17185

Nordsjælland Tandlægecenter søger tandplejer, 20-37 timer

QUICK NR. 17239

Tandlægecentret Viborg Implantatcenter søger tandlæge

QUICK NR. 17240

Klinik i Korsør søger dygtig og empatisk tandplejer

QUICK NR. 17242

Klinik i midt i Roskilde by søger klinikassistent til spændende vikar stilling

QUICK NR. 17244

Moderne tandklinik i Slagelse søger klinikassistent

QUICK NR. 17245

Taastrup Tandlæge Center søger Klinikassistent med ansvar for receptionen

QUICK NR. 17247

Travl klinik i Nykøbing Sjælland søger tandlæge til barselsvikariat. Mulighed for fastansættelse

QUICK NR. 17248

Colosseum Tandlægerne Østerport søger klinikassistent

QUICK NR. 17253

Stor og splinterny klinik i Kolding søger tandplejer

QUICK NR. 17254

Tandlægen.dk i Solrød søger tandplejer

QUICK NR. 17255

Tandlægerne Tjæreborg, Esbjerg Kommune, søger familiemedlem

QUICK NR. 17256

Tandlægerne Søborg søger frisk tandplejer til barselsvikariat

QUICK NR. 17257

Tandlægen.dk i Vejen søger klinikassistent

QUICK NR. 17259

Klinik i Silkeborg søger tandplejer

Klinik i Kerteminde søger tandlæge

QUICK NR. 17251

Klinik i Struer søger tandplejer - gerne ung i faget

QUICK NR. 17252

QUICK NR. 17260

Greve Tandlægecenter søger en kvalitetsbevidst tandplejer

QUICK NR. 17261

Helsingør Tandcenter søger tandplejer

QUICK NR. 17265

Tandlægen.dk Horsens søger ny klinikassistent

QUICK NR. 17266

Tandlægerne ved Dampmøllen i Nakskov søger engageret klinikassistent

QUICK NR. 17267

quickannoncer

Tandlægerne Alhambravej, Frederiksberg C. søger tandplejer 4-5 dage om ugen (barselsvikariat)

QUICK NR. 17268

Hyggelig klinik i nærheden af Christianshavn søger receptionist og klinikassistent

QUICK NR. 17269

Klinik i Kolding søger tandlæge

QUICK NR. 17270

Vordingborg kommunale tandpleje søger tandlæge til attraktiv stilling

QUICK NR. 17271

Tandlægeklinik i Søborg søger frisk klinikassistent

QUICK NR. 17272

Klinik i Næstved søger tandplejer

QUICK NR. 17274

Klinik i Grenaa søger tandlæge pr. 1/11

QUICK NR. 17275

Klinik i Odense søger tandlæge. Gerne med interesse for kirurgi

QUICK NR. 17276

Klinik i Taastrup søger klinikassistent (eller klinikassistent leder)

QUICK NR. 17277

Godt Smil Frederikshavn søger Klinikassistent til assistance ved større behandlinger - herunder implantater

QUICK NR. 17278

Rengøringsservice i 20 år

Rengøringsservice i 20 år

Rengøringsservice i 20 år

NIIR Rengøring til tandklinikker

NIIR Rengøring til tandklinikker

NIIR R R Renngøørriinng til tandklinikker

Vi overholder de nationale infektionshygiejniske retningslinjer for hygiejne hos tandlæger. Med høj faglighed er vores medarbejdere rustet til opgaven.

Vi overholder de nationale infektionshygiejniske retningslinjer for hygiejne hos tandlæger. Med høj faglighed er vores medarbejdere rustet til opgaven.

Vi overholder de nationale infektionshygiejniske retningslinjer for hygiejne hos tandlæger. Med høj faglighed er vores medarbejdere rustet til opgaven.

Ring eller skriv – vi er landsdækkende

Ring eller skriv – vi i er landsdækkende

Riing eller s skrriv – v vi er landsdæækkkende

Delta Rengøring

Delta Rengøring

Deelta Reenggørinng g

Teglvej 1,4990 Sakskøbing

Teglvej 1,4990 Sakskøbing

Tlf 4054 6546

delta@delta-rengoering dk ApS

Teegglvej j 1 1,49990 0 S Saksskøbing

Tlf 4054 6546

Tllf 40054 6546

delta@delta-rengoering dk

deltaa@@ddelta-renggoering g dk k

www.delta-rengoering.dk

www.delta-rengoering.dk

www.delta-rengoering.dk

Har du set

Få hurtig og nem kontakt til Tandlægeforeningen, målrettede beskeder og et komplet overblik over de informationer, der er vigtige for dig.

køb og salg

Dental Consult ApS

v/ Ken Kürstein

Strandvej 22 4220 Korsør M: 20 20 92 12 kk@DentalConsult.dk www.DentalConsult.dk

Vores særlige kompetencer er:

• Handel med Tandklinikker (klinikmægler)

– Ejerskifte og Generationskifte af Tandlægeklinikker

– Køb og Salg af tandklinikker

– Sælgerrådgivning Salgsopstillinger (prospekt)

– Køberregister (potentielle købere)

– Sælgerkartotek (potentielle sælgere)

• Finansiering af klinikker og udstyr www.Kapital-Coach.dk

• Forretningsudvikling af tandklinikker, ring og hør mere

• Rekruttering af tandlæger, tandplejere og klinikassistenter

klinikformidleren.dk

klinikformidleren.dk

Vil du sælge, og vil du have en seriøs behandling af dit kliniksalg med respekt for klinikken og dine medarbejdere, så tag gerne fat i os.

klinikformidleren.dk

klinikformidleren.dk

Vil du sælge, og vil du have en seriøs behandling af dit kliniksalg med respekt for klinikken og dine medarbejdere, så tag gerne fat i os.

Klinikformidleren.dk

Klinikformidleren.dk

Info@klinikformidleren.dk

Vil du sælge, og vil du have en seriøs behandling af dit kliniksalg med respekt for klinikken og dine medarbejdere, så tag gerne fat i os.

Seriøst kliniksalg i hele Danmark. Se vores hjemmeside for aktuelle klinikker, eller kontakt os på tlf. 20 12 47 96 for at høre nærmere.

Tlf. 20124796

Info@klinikformidleren.dk Tlf. 20124796

Vil du sælge, og vil du have en seriøs behandling af dit kliniksalg med respekt for klinikken og dine medarbejdere, så tag gerne fat i os.

Klinikformidleren.dk

Klinikformidleren.dk

Info@klinikformidleren.dk Tlf. 20124796

Info@klinikformidleren.dk

Tlf. 20124796

Klinikbørsen ApS

Kvæsthusgade 6 E, 3. sal 1251 København K.

Tlf.: +45 70 20 69 79

Mobil: +45 20 24 49 79

E-mail: bc@klinikborsen.dk www.klinikborsen.dk

leverandørhenvisninger

Henvendelse angående leverandørhenvisninger

Heidi Dyhr hos DG Media, tlf. 28 34 29 21, e-mail: heidi.d@dgmedia.dk

advokater

JURIDISK RÅDGIVNING TIL TANDLÆGER

Med mere end 20 års erfaring inden for sundhedssektoren kan jeg hjælpe dig sikkert i mål med dine juridiske spørgsmål og bistår i forhandlinger om overdragelse, samarbejdsvilkår, opløsning af samarbejde, ansættelsesforhold, lejemål, deltagelse i rets- og voldgiftssager etc.

ng@adv-nyhavn.dk ⁄ +45 33 11 93 13 / Nyhavn 6, 1051 København K www.tandlaege-advokat.dk

Mette Neve

PARTNER, ADVOKAT

M: +45 5074 4173 neve@clemenslaw.dk hygiejne

arbejdsplads

Købe eller sælge?

Få rådgivning omkring køb og salg af tandlægeklinik. Dit valg af rådgiver gør en forskel!

Som tandlæge hos Godt Smil kan du forvente:

Fuldt fokus på patienten – vi klarer resten.

En fyldt aftalebog (vores bookingprocent er pt. på 90%).

En arbejdsplads, hvor der bliver lyttet til dig og dine ønsker.

• Autoudfyldte oplysninger Nemt abonnements system

www.safeint.com ·

Test sterilisationsprocessen i din autoklave med biologiske indikatorer

• Automatisk fremsendelse

kurser - uddannelse

revision – administration

vikarservice

+DEN LILLE TANDFE

• Erfarne klinikassistenter og tandplejere

• TryB4Hire

• Rekruttering

• Dækker hele Danmark

Kontakt os på 4076 1993 / kontakt@denlilletandfe.dk

Læs mere på: denlilletandfe.dk

At vælge revisor er en tillidssag

Derfor har vi specialiseret os i rådgivning af tandlæger

Kontakt: Paw Hjelmberg Laursen Mail: paw.hjelmberg.laursen@pwc.com

NYT REVISIONSFIRMA

0246-23_Annonce tandlæger_80x40mm.indd 1

men mange års erfaring indenfor tandlægebranchen.

Vikarbureauet for klinikassistenter

• Landsdækkende Vikarservice

• Nu også for Tandplejere

Revision. Skat. Rådgivning.

Vi kan tilbyde specialiseret rådgivning indenfor bl.a.:

• Driftsoptimering af klinik

• Køb/salg klinik

• Formueoptimering

■ Jeanne Svendsen, Mobil: 30 93 49 06

• Lidt billigere

• Ring fra kl. 6.00 på tlf. 40 40 12 18 www.vikartoteket.dk

27-09-2023 11:57:55

■ Anders Frihed Hedegaard Christensen, Mobil: 30934763

■ www.powered-by.dk

Endelig kan jeg bruge alt det, jeg har lært

Tag med nyuddannede Sille Stubkjær

Larsen på hendes første job i Aalborg

Kommunale Tandpleje.

FORTALT TIL KIM ANDREASEN

06.15 / Vækkeuret ringer, og jeg står op til min første rigtige arbejdsdag som uddannet tandlæge. Aftenen før har jeg smurt madpakke, så jeg ikke skal gøre det her til morgen. Inden jeg cykler afsted, sidder jeg lige og læser lidt op på nogle procedurer og behandlinger.

07.30 / Jeg cykler hjemmefra. Mit nye arbejde i Aalborg Kommunale Tandpleje ligger på den anden side af Limfjordsbroen i Nørresundby – blot 2 km fra vores nye lejlighed. Det er en flot cykeltur, hvor jeg ser solen stå op over Limfjorden. Indtil for nylig boede jeg i Aarhus, hvor jeg også er uddannet. Jeg er oprindeligt fra Nordjylland, og det er min kæreste også. I stedet for at bruge lang tid på at pendle synes jeg, at det både i tid og penge bedre kunne svare sig at flytte tæt på min nye arbejdsplads. Det er så dejligt med cykelturen om morgenen og hjem igen, så jeg får lidt frisk luft og motion.

07.45 / Ankommer til mit nye arbejde på kommunens største klinik. Jeg har glædet mig meget til at komme i gang, dog er jeg lidt nervøs og spændt. Jeg har søgt job kommunalt, da jeg længe har følt, at det er det rigtige match for mig, og at det er her, mine kompetencer kommer godt i spil. Det, der bl.a. er givende ved at arbejde med børn og unge, er, at man lærer dem nogle gode

vaner fra start. Dermed bidrager jeg til sundhedsfremme og -forebyggelse. Det tiltaler mig også, at der i den kommunale tandpleje er gode muligheder for at udføre en bred vifte af behandlinger.

08.00 / Til en start får jeg en introduktion til klinikken og bliver oprettet i mail- og journalsystemet. Jeg møder min mentor – en erfaren tandlæge – som det er meningen, jeg primært skal følge og kigge over skulderen de første 14 dage.

13.00 / Efter frokost får jeg selv lov til at udføre to statusundersøgelser – mine første undersøgelser som ansat. Det går fint, selv om jeg ikke er så hurtig her i starten. Jeg er så glad for endelig at kunne bruge alt det, jeg har lært.

17.00 / Jeg har fri for i dag. Mandag er min lange arbejdsdag. Der er mange nye indtryk, der skal fordøjes, men jeg synes, det var en god dag, og at jeg blev godt modtaget. Det er klart, at man som helt ny skal begynde stille og roligt, men jeg glæder mig også til at få mine egne patienter i nær fremtid og få fingrene i tandlægefaget.

17.15 / Efter en lang første arbejdsdag kommer jeg hjem. Min kæreste har forberedt aftensmad. Mens vi spiser, fortæller jeg om, hvordan min dag har været, og de mange nye indtryk. Vi går en aftentur for at udforske vores nye by. Jeg er sikker på, at vi kommer til at få det godt her.

22.30 / Aftenen bliver brugt på sofaen foran fjernsynet. Jeg er egentlig ikke så træt, som jeg havde forventet oven på første arbejdsdag. I løbet af aftenen læser jeg op på nogle procedurer, så jeg er klar til en ny arbejdsdag. ♦

kaffe og spiser min formiddagsmad sammen med mine nye kollegaer. På den store klinik er ansat hhv. tandlæger, tandplejere og klinikassistenter fordelt over et bredt aldersspektrum. Det synes jeg er positivt.

10.00 / Formiddagspause. Jeg drikker en kop kaffe og spiser min formiddagsmad sammen med mine nye kollegaer. På den store klinik er der mange forskellige fagområder, og aldersmæssigt er der også stor forskel. Det synes jeg er positivt.

10.20 / Jeg kigger min mentor over skulderen, mens hun udfører en række undersøgelser. Jeg bliver også præsenteret for journalsystemet.

12.30 / Der er frokostpause. Jeg finder ud af, at mine kolleger er gode til at lave forskellige sociale arrangementer – bl.a. taler vi om, at det kunne være sjovt at prøve et escape room sammen. Jeg vægter sociale aktiviteter på arbejdspladsen højt, så det er jeg glad for at høre. Jeg får også en flot velkomstbuket.

SILLE STUBKJÆR LARSEN

Tandlæge, Aalborg Kommunale Tandpleje

HJÆLP DINE PATIENTER

HJÆLP DINE PATIENTER

MED AT BEHOLDE ET SUNDT TANDKØD

MED AT BEHOLDE ET SUNDT TANDKØD

parodontax er en flourtandpasta til daglig brug med en unik 67% natriumbikarbonat formulering

parodontax er en flourtandpasta til daglig brug med en unik 67% natriumbikarbonat formulering

58% 4X

58%

reduktion i blødningssteder1

reduktion i blødningssteder1

4X

mere effektiv til at fjerne plak*2

mere effektiv til at fjerne plak*2

Læs mere om parodontax og bestil prøver og patientmateriale ved at scanne QR-koden eller tilmelde dig på www.haleonpro.dk

Læs mere om parodontax og bestil prøver og patientmateriale ved at scanne QR-koden eller tilmelde dig på www.haleonpro.dk

*sammenlignet med en almindelig tandpasta efter professionel rengøring og 24 ugers børstning to gange dagligt.

*sammenlignet med en almindelig tandpasta efter professionel rengøring og 24 ugers børstning to gange dagligt.

1. Akwagyiram et al. Efficacy and Tolerability of Sodium Bicarbonate Toothpaste in Subjects with Gingivitis: A 6-month Randomized Controlled Study. Oral Helth Prev. Dent. 2017; 16(5): 401-407. 2. Jose A et al. J Clin Dent. 2018; 29:33–39.

1. Akwagyiram et al. Efficacy and Tolerability of Sodium Bicarbonate Toothpaste in Subjects with Gingivitis: A 6-month Randomized Controlled Study. Oral Helth Prev. Dent. 2017; 16(5): 401-407. 2. Jose A et al. J Clin Dent. 2018; 29:33–39.

Interesserer du dig for endodonti, og er du nysgerrig på at dygtiggøre dig? Så er SIECPH-konferencen lige noget for dig!

• Bliv undervist af ledende endodonti-eksperter.

• Lær de nyeste metoder og teknikker.

• Mød professionelle kollegaer fra hele verden.

Læs mere og tilmeld dig konferencen på www.siecph.com

Konferencen holdes den 25.-26. oktober 2024

Turn static files into dynamic content formats.

Create a flipbook
Issuu converts static files into: digital portfolios, online yearbooks, online catalogs, digital photo albums and more. Sign up and create your flipbook.