Dental Tribune 2024/3

Page 1


The World‘s Dental Newspaper

GYAKORLÓ FOGORVOS AJÁNLJA

Az endodonciai ellátás során az egyik legnagyobb kihívást a betört eszközök menedzsmentje jelenti. Attól függetlenül, hogy az aktuális klinikai helyzet egy már korábban betört tű revízió során történő eltávolítását igényli vagy az eszköztörés az általunk végzett...

IRÁNYVONALAK, ALKALMAZÁSOK

Általánosan elmondhatjuk, hogy a fogszabályozó kezelés iránt érdeklődő páciensek az első konzultáció során elsősorban az esztétikai kívánalmaiknak adnak hangot, és ritka az olyan eset...

Dr. Szepesi András

A Google keresési adatai azt mutatják, hogy a „fogfájás” kifejezésre irányuló internetes keresések száma 460%-kal nőtt az Egyesült Királyságban 2010 júniusa óta.

Ugyanebben az időszakban a „fogfájdalom” kifejezésre történő keresések száma 227%-kal nőtt. Számos más fogászati egészségügyi probléma keresési gyakorisága is nőtt 2010 óta:

Letört fog – 329%

Ínyfájás – 330%

Sárga fogak – 268%

Rossz lehelet – 133%

Fogínyvérzés – 110%

A „hogyan kell eltávolítani saját kezűleg a fogaimat” keresési gyakorisága jelenleg 421%-kal magasabb, mint 2010-ben. Ez a szám azonban 2021 februárjában, a COVID-19 idején 614%-os növekedéssel érte el a csúcsot.

Megaláztatás és fájdalom

Mike Fleming, a Church on the Street jótékonysági szervezet alapítója a Mirrornak a fogászati vonatkozású keresések „aggasztó” emelkedéséről beszélt. Azt mondta: „A megfizethető fogászati ellátáshoz való hozzáférésnek alapvető emberi jognak kellene lennie, és mégis az emberek szerte az Egyesült Királyságban szenvednek a fáj-

dalomtól.

„Ezek az adatok azt mutatják, hogy a fogászati válság mennyire súlyossá vált a megszorítások évtizede után, és valóban aggasztó, hogy olyan országban élünk, ahol az emberek már azt keresik, hogyan húzzák ki saját fogaikat, mivel nem engedhetik meg maguknak a magánellátást, vagy nem találnak állam által finanszírozott NHS-fogorvost.

Az Oral Health Foundation (OHF) közelmúltban végzett felmérése szerint 10-ből négy válaszadó számára a költségek jelentenek akadályt a fogorvosi ellátás igénybevételében. A válaszadók további 17%-a számolt be arról, hogy nehezen talál NHS fogorvost, 12%-uk pedig nehezen kapott időpontot.

Nigel Carter, az OHF vezérigazgatója a következőket mondta: „Ha nem cselekszünk gyorsan, az fogászati egészségügyi válsághoz vezethet. Ennek messzemenő következményei lesznek a közegészségügyre nézve”. DT

Régi tapasztalat, hogy a jó újságcikkeket az ÉLET írja. Igen, ez esetben szándékosan írom nagybetűkkel, jelezve, hogy az élet mindennél fontosabb! Előző cikkem a „Politikai üzemmód” címet viselte. Érthető volt, Magyarország egy napon két választást is lebonyolított (kettő az egyben, mint egy jó instant kávé), és a választásokat megelőző hetek a politikáról szóltak.

Választások, végeredmény

Azután született két végeredmény. Nem változtatott a fő politikai irányokon, de meglepetés volt benne bőven. Szögezzük le: számszerűen mindkét választást a FIDESZ nyerte, de kisebb fölénnyel a szokásosnál. A meglepetés az volt, hogy ez esetben valóban a „semmiből” felbukkant egy új politikai formáció. Jó darabig még neve se volt, Magyar Péter mozgalmának nevezték. Azután egy jelentéktelen pártocskát átvéve, átalakítva megjelent a TISZA Párt. A név egy betűszó, de már senki nem használja az eredetit. Amúgy kedves jelkép a magyaroknak, az egyik „legmagyarabb” folyó. Szerencsére 1919-ben a hirtelen összezáró magyar katonák megakadályozták, hogy végig határfolyó legyen Románia felé. Szabályozása ellenére végigkanyarogja az Alföldet, és a belőle készült mester-

IRÁNYVONALAK, ALKALMAZÁSOK

A XXI. századi paradigmaváltás sok újat hozott a Törvényszéki Orvostan (Forensic Medicina) területén is. A megnövekvő katasztrófák és a tudomány fejlődése szükségessé tette a további új lehetőségek kidolgozását. Elengedhetetlen ismereteket ad számunkra a történeti részek ismerete.

üzemmód

séges tó egyre jobban beilleszkedik a tájba, valamint sokak életébe. Ahhoz pedig, hogy érzékelhető legyen, milyen hatalmas jelentősége van a fél ország vízgazdálkodására, kellett egy ilyen hőségkatasztrófa!

Politikai következmények

A lényeg, a TISZA Párt 30% szavazatot kapott az uniós választáson. Mivel ez listás választás volt, alkalmasabb a közvélemény mérésére, mint az önkormányzati választások, ahol egyes személyiségek felülírják a pártpreferenciákat. Azóta tart a vita: honnan építkezett Magyar Péter? Az nem vitás, hogy a korábban is szétaprózott ellenzék megszenvedte. Mindegyik párt támogatottsága csökkent. De úgy tűnik, a korábbi kormánypártot támogatók tábora is hozzájárult kb. félmillió szavazóval a sikerükhöz. Jelentős frakcióval indultak az Európai Unió parlamentjébe, és jelentős frakciójuk lett a Fővárosi Önkormányzatban is. Az önkormányzati választás egy ponton hozott kisebb szenzációt. A főpolgármesteri tisztségre közel kilencszázezer polgár matematikailag olyan pontos fél-fél halmazt alkotott, hogy a kettő között újraszámolás után is csak néhány tucat szavazatkülönbség maradt Karácsony Gergely javára. Egy darabig ment a politikai huzakodás, üzengetés, és ez valószínűleg még sokáig így is marad.

Ennek számos vicces eleme volt, de azután ezt a gondot is felülírta a másik: egy közel 2 milliós metropoliszt kellene üzemeltetni ezzel a közgyűléssel és a főpolgármesterrel. Ha belegondolunk, ez nem gyermekjáték! Még akkor sem, ha a politikusokban időnként feltámad a gyermek, és képesek infantilisen viselkedni.

Hőségriadó

Erre sok idő nem maradt, már július 7-én bevezették az első hőségriadót. Akkor még nem tudtuk, hogy ez, kisebb szünetekkel pontosan két hónapig fog tartani. Egy hőhullám az egészséges emberek körében is okozhat gondokat, például alvászavarokat,

de igazából az idős, és pláne a beteg emberek vannak veszélyben. Nemzetközi tapasztalatok mutatják, hogy számos egészségkárosodás mellett megnő a halálozás is. A vita azon robbant ki, hogy elkerülhető-e ez? Már a COVID járvány alatt látszott, hogy a magyar kórházak többsége ” 3. oldal

Kép: Adobe Stock
Magyarország térképe hőségriadó idején

nincs felkészülve olyan intézkedésekre, amelyeket ilyen esetben be kellene vezetni. Ezek közé tartozott az izolált és lázas betegek klimatizált körülmények között való ápolása. Ahogy a mostani hőhullám erősödött, és egyre tovább tartott, az egészségügy egyik Achilles-sarka vált ismét láthatóvá. A betegszobák 97-98%-a nincs klímaberendezéssel ellátva. A kiemelt gyógyászati helyek, műtők, intenzív, szubintenzív osztályok, képalkotó és egyéb vizsgálóhelyek már jobb helyzetben vannak. De rettenetes különbségek észlelhetők: a korszerű berendezések mellett elavult, valamint a kereskedelemben még kapható, a sterilitás követelményével nem szolgáló berendezések is nagy számban találhatók. Magyar Péter az első perctől kezdve kritikai célponttá tette ezt a területet, amit az elmúlt hetekben kórházi bejárásokkal, hőmérőzéssel és sajtótájékoztatókkal kombinált. Hatalmas égzengés támadt a médiumokban. Régen nem észlelt méretű vita bontakozott ki kormányzati vezetők és politikusok, valamint az ellenzéki képviselők és újságírók között. Napjainkra ez a polémia a teljes egészségügyi rendszerünk működésére, műszaki helyzetére és gazdasági állapotára is kiterjed. Remélem, hogy nem csak politikai hozadéka lesz. Nagyon sok javítani, fejleszteni való maradt el az elmúlt évtizedekben.

Olimpia

Párizsban zajlott, július 26-a és augusztus 11-e között. Akár a „mi olimpiánk” is lehetett volna, ha egy akkori politikai kezdeményezés és az abból kinőtt párt, valamint a népszavazási fenyegetettség meg nem

akadályozza. Azóta is vitatkoznak rajta, hogy hatalmas siker lett volna vagy katasztrofális bukás és gazdasági csőd. A magyar rendezés ügye újra és újra előkerül. A sportintézményeink többsége megvan. Párizs példája azt is megmutatta, hogy

nem kell kivinni a rendezvényt egy városszéli rezervátumba, hanem egy történelmi város szövetét bevonva is meg lehet rendezni. Erre már a magyar politikusok is felkapták a fejüket, remélem, hogy a polémia szakmai alapon újraindul! A mi számunkra Párizs hozott szép sikereket, de fájdalmas veszteséget is. A 14. hely a 200 nemzet pontversenyében igazán jelentős. Lehetett szurkolni, haragudni a sors igazságtalanságaira, amikor komolyan esélyes csapataink estek ki véletlenek következtében, de hatalmas boldogság volt, amikor olyan sportágban és sportolókkal nyertünk, akire legfeljebb csak kevesen gondoltak. Tekvandó aranyérem egy Tenerifén élő karcsú fiatal magyar lánynak egy világbajnokkal szemben, egy ifjú hölgy öttusa aranyérme az esélyes francia lánnyal szemben – tiszta és fényes pillanatok voltak! Kicsit vicces volt, hogy Louis Pasteur hazájában a politika erőltette, hogy a nyílt vízi úszóverseny a Szajnában legyen. Hiába, a francia Gloire eszméje még mindig hat! Volt, amikor 2 naponta engedélyezték vagy tiltották. Egy 2 milliós metropolisz központi folyója soha nem lehet biztonságosan tiszta. A vegyi szennyeződéseket sok pénzzel ki lehet küszöbölni, de a biológiai szennyeződés újratermelődik. És elég egypár csepp eső, ismét a folyóban landol. Magyar fiúk nyertek arany- és bronzérmet 10 ezer méteren. Egy ifjú hölgy pontszerző helyen végzett. Utólag derült ki, hogy a bronzérmes fiút és a hölgyet azonnal kórházba vitték infúziós antibiotikum-kezelésre.

Mivel a politikailag kisebb presztízsű parolimpia most zajlik, végül eldöntötték, a Szajna nem alkalmas ilyesmire.

Augusztus 20. Szent István napja

Éppen egy kis enyhülés volt, de viharés zivatarfenyegetettséggel. Zászlófelvonás, eskütétel szépen megvolt. A Szent Jobb körmenetet már lefújták, és csak a bazilikán belül tartották meg. És akkor jött a nagy kérdés. 2006. rettenetes emléke, sérültekkel, ál-

dozatokkal ma is kisért. Másfelől ott volt „betárazva” Európa legnagyobb tűzijátéka 15 milliárd forint értékben. És akkor egy zivatarcella kora este lecsapott. Volt egy Operatív Törzs vezető politikusokból és szakértőkből, akik szerintem „tövig rágták a körmüket” az utolsó órákban. Végül hoztak egy „kamikaze” döntést, egy órával későbbre halasztották a tűzijáték megkezdését. Hajmeresztő mutatvány, de az egyébként jól megázott tömeg többsége kitartott. A látványosság újabb baj nélkül lement. Végül is egy operatív törzsnek és kormánynak is lehet szerencséje. Az ázott gyermekek és felnőttek or-

A mesterséges intelligencia által vezérelt

robot elvégezte első

A „robot fogorvosnak” nevezett, mesterséges intelligencia által vezérelt robotikai rendszer elvégezte az első teljesen automatizált fogászati beavatkozását egy emberen. A Perceptive által tervezett robotrendszer célja, hogy „az embernél nagyságrendekkel gyorsabban és pontosabban végezze el a helyreállító beavatkozásokat”.

A technológia a mesterséges intelligencia által vezérelt 3D képalkotó szoftvert és a fogászati beavatkozásokat végző robotkart egyesíti. Ezen túlmenően a rendszer állítólag „még a legnehezebb mozgást igénylő körülmények között” is „páratlan sebességgel és pontossággal” működik.

A Perceptive azt is reméli, hogy képes lesz 15 perc alatt elvégezni az olyan eljárásokat, mint például a korona felhelyezése, anélkül, hogy második időpontra lenne szükség. A „robot fogorvosnak” azonban hatósági engedélyt kell kapnia, mielőtt a betegellátásban alkalmazható lesz.

Óriási áttörés az egészségügyben

Dr. Chris Ciriello, a Perceptive vezérigazgatója és alapítója a következő-

fogászati beavatkozását

ket mondta: „Izgatottak vagyunk, hogy sikeresen befejeztük a világ első teljesen automatizált robotizált fogászati eljárását. Ez az orvosi áttörés növeli a fogászati eljárások pontosságát és hatékonyságát, és demokratizálja a jobb fogászati ellátáshoz való hozzáférést, a betegélmény és a klinikai eredmények javítása érdekében. Alig várjuk, hogy továbbfejlesszük rendszerünket, és úttörő módon skálázható, teljesen

automatizált fogászati egészségügyi megoldásokat kínáljunk a betegek számára.”

A Perceptive 30 millió dolláros finanszírozást kapott. A céget Ed Zuckerberg fogorvos – a Meta tulajdonosának, Mark Zuckerbergnek az édesapja – is támogatja.

Zuckerberg elmondta: „A robotikai rendszert úgy terveztük és szigo-

voshoz fordulási adatai ismeretlenek, de remélem, hogy ezt csak az én aggodalmas lelkem gondolja!

Megérkezett szeptember

A hőségriadót még pár nappal meghosszabbították. Másfél millió nebuló kezdte az új tanévet szerte az ország elemi és középiskoláiban. Mindjárt egy vita közepén találva magukat: hogyan lehet fékezni, csökkenteni a mobiltelefonok tanórán történő céltalan használatát. Nem magyarok lennénk, ha ezen nem lenne éles vita. Franciák, finnek és mások már csendben megoldották. Ha akarjuk, mi is találunk értelmes megoldásokat. Most igen sok szempár a fővárosi ügyeleti rendszerre figyel. Elhalasztják-e a MOK kérésére a bevezetést, hogy jobban elő lehessen készíteni? Megoldják-e, hogy az évtizedek óta felnőtteket gyógyítóknak ne kellejen gyermek sürgősségi ellátást végezni? Mi lesz a tovább halmozódó intézményi adósságokkal, és mi lesz az egyre inkább bajba kerülő magánszolgáltatókkal? Egy biztos, lesz még miről írni a Dental Tribune következő számaiba! DT

IMPRESSZUM NEMZETKÖZI SZÉKHELY

FELELŐS KIADÓ ÉS VEZÉRIGAZGATÓ: Torsten Oemus

TARTALOMÉRT FELELŐS IGAZGATÓ: Claudia Duschek

Dental Tribune International GmbH Holbeinstr. 29, 04229 Leipzig, Germany Tel.: +49 341 4847 4302 Fax: +49 341 4847 4173

Általános információ: info@dental-tribune.com

Hirdetésfelvétel: mediasales@dental-tribune.com www.dental-tribune.com

A Dental Tribune International GmbH azon anyaga, amelyet újra nyomtattak vagy lefordítottak és újból kinyomtattak ebben a kiadásban a Dental Tribune International GmbH szerzői jogi védelme alatt áll. Az ilyen anyagokat a Dental Tribune International GmbH engedélyével lehet csak közzétenni. A Dental Tribune a Dental Tribune International GmbH védjegye. Minden jog fenntartva. © 2024 Dental Tribune International GmbH. A Dental Tribune International GmbH előzetes írásbeli engedélye nélkül bármilyen módon, egészben vagy részben történő sokszorosítása kifejezetten tilos.

A Dental Tribune International mindent megtesz annak érdekében, hogy a klinikai információkat és a gyártók termékeiről szóló híreket pontosan adja közre, nem vállal azonban felelősséget a termékekről szóló állítások helytállóságáért vagy a nyomdahibákért. A kiadó nem vállal továbbá felelősséget sem a terméknevekért vagy -leírásokért, sem a hirdetők közleményeiért. A szerzők által kifejtett véleményt a sajátjuknak kell tekinteni, és azok semmi módon nem tükrözik a Dental Tribune International véleményét.

rúan teszteltük, hogy a fogorvosok biztonságosan végezhessék a kezeléseket, még olyan körülmények között is, ahol a beteg mozgása gyakori.

„Ez a biztonság iránti elkötelezettség a Perceptive azon elkötelezettségének lényege, hogy megbízható és hatékony fogászati ellátási megoldásokat kínáljon a legmodernebb technológiával.

KIADJA: DP HUNGARY KFT. 1012 Budapest, Kuny Domokos u. 9.

FELELŐS KIADÓ: Laczkó Tamás

FORDÍTÓ: Laczkó Leonard

NYOMDAI ELŐKÉSZÍTÉS: DP Hungary Kft.

NYOMDAI KIVITELEZÉS: Pharma Press Nyomdaipari Kft.

ADATEGYEZTETÉS, INFORMÁCIÓ: Bárdos Veronika, 06-30-472-0030

HIRDETÉSFELVÉTEL: Laczkó Tamás, 06-30-472-0030

Kép: Adobe.stock
Olimpiai bajnok párbajtőrcsapat.
Olimpiamegnyitó képek.

Eszköztörések menedzsmentje

Er:YAG

Esetbemutatás

Dr. Bartłomiej Karaś

Bevezetés

Az endodonciai ellátás során az egyik legnagyobb kihívást a betört eszközök menedzsmentje jelenti. Attól függetlenül, hogy az aktuális klinikai helyzet egy már korábban betört tű revízió során történő eltávolítását igényli vagy az eszköztörés az általunk végzett primer endodonciai ellátás során következik be, ez az esemény általában hatással van az endodonciai ellátás sikerességére.

A gyökérkezelés során az egyik legfontosabb szempont a gyökércsatorna belsejében lévő biofilm eltávolítása, tehát nem maga a betört eszközdarab jelenti a problémát számunkra, hanem ha ez megakadályozza a gyökércsatorna-rendszer megfelelő fertőtlenítését. Néhány esetben a betört eszköz eltávolítása érdekében nagy mennyiségű – a fog hosszú távú megtarthatósága szempontjából kiemelt jelentőséggel rendelkező – pericervicális dentin is eltávolításra kerül. A kezelést végző orvosnak minden esetben egyedileg kell mérlegelnie az eszköz eltávolításával járó potenciális előnyöket és hátrányokat és ennek megfelelően megítélni, hogy érdemes-e az eltávolítással próbálkozni vagy inkább az eszköz mellett történő elhaladásra kellene koncentrálni. [1]

A SWEEPS technológiával elérhető előnyök

Korábban már említettük, a gyökérkezelések során az egyik legfontosabb szempont a gyökércsatorna-rendszer teljes körű fertőtlenítése. Általában a betört eszköz körül nagy mennyiségű dentinforgács és egyéb törmelék található, és ha ez az eszközfragmentum a gyökér középső harmadában található, akkor az apikális harmad megtisztítása sokszor jelentős kihívásokkal jár.

Az innovatív SWEEPS (shock wave enhanced emission photo-acoustic streaming; lökéshullámmal felerősített emissziós fotoakusztikus áramlás) technológia egy sokkal egyszerűbb és kiszámíthatóbb eredményekkel járó lehetőséget biztosít a klinikusok számára a betört műszerekkel rendelkező csatornák ellátására. A SWEEPS technológia lényege kettős ultrarövid ideig tartó hullámok kibocsátásában rejlik, amely a

vezetőszál csúcsa közelében elsődleges kavitációs hatás kialakulását okozza, amely pedig egy a csúcstól távol, akár a nehezen elérhető helyeken kialakuló másodlagos kavitációs effektust vált ki. Ez a jelenség egy minden irányba rendkívül gyorsan (10 m/s) terjedő lökéshullám kialakulását okozza, 10 mm-es mélységbe 0,001 másodperc alatt jut el. [2]

A rendelkezésre álló szakirodalmi adatok azt mutatják, hogy az Er:YAG lézer a csatornában lévő törmeléket rendkívül nagy hatékonysággal távolítja el, közel háromszor olyan hatékony, mintha passzív ultrahangos irrigációt alkalmaznánk. [3,4]

Első eset

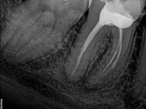
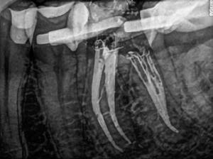
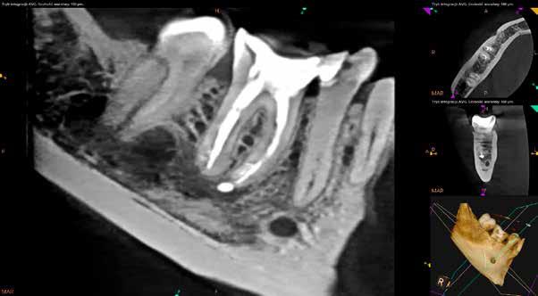
A pácienst egy betört eszköz eltávolításának sikertelensége miatt irányították rendelőnkbe. A csatorna feltágítását és a fragmentumeltávolításra tett többszöri sikertelen kísérletet követően az eddigi kezelőorvos úgy döntött, hogy nem próbálkozik tovább és inkább továbbirányítja a beteget. A kérdéses fog panaszokat okozott a páciens számára, ezért a beteg mindenképpen szerette volna a betört eszköz eltávolítását és a gyökérkezelés folytatását.

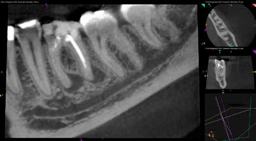
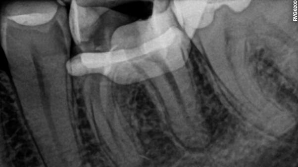
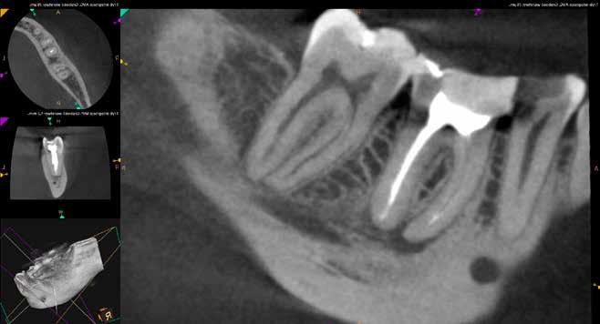
Mind a periapicalis röntgenfelvétel, mind a CBCT-felvétel igazolta, hogy a fragmentum mélyen a gyökércsatorna görbülete mögött, az apikális harmadban helyezkedik el a mesiobuccalis csatornában, valahol a mesiolingualis csatornával történő egyesülés után. Ezenfelül mind a mesialis, mind a distalis gyökércsúcs körül periapicalis gyulladás jelei voltak megfigyelhetőek (1–3. ábra). A betört eszköz nagyjából 5 mm-es hosszúsággal rendelkezett. A mesiolingualis csatornán keresztül a betört fragmentum mellett történő további gyökércsatorna-megmunkálást kockázatosnak ítéltük, mivel nagy esélyt láttunk rá, hogy így a másik eszköz is eltörik, amely pedig a gyökértömés elkészítését nehezítette volna. Azonban a SWEEPS technológiának és a biokerámia sealereknek köszönhetően más megoldási lehetőségek is nyitva álltak előttünk.

A terület érzéstelenítése és a kofferdám felhelyezését követően az ideiglenes tömést eltávolítottuk, majd a fogbélkamrát 5,25%-os NaOCl-oldattal feltöltöttük, amelyet ultrahang segítségével aktiváltunk (4–5. ábra). A fogbélkamrában lévő visszamaradt szuvasság eltávolítását követően a területet vízzel lemostuk, majd az egész területet puszterrel leszárítottuk. A terület előkészítését követően az izolálást

ábra: Kiindulási röntgen. A felvételen jól látható a betört eszköz és a periapikális lézió.

2. ábra: Kiindulási CBCT-felvétel. A betört eszköz mélyen a gyökércsatorna görbülete mögött található.

3. ábra: A betört eszköz vége jóval a mesiobuccalis és mesiolinguális csatorna egyesülésének pontja alatt helyezkedik el.

4. ábra: A kofferdám felhelyezése után látható állapot. Az ideiglenes tömés még nem került eltávolításra.

5. ábra: Az ideiglenes tömés eltávolítását követően látható állapot.

6. ábra: A visszamaradt szuvas foganyag eltávolítását és a folyékony kofferdám felhelyezését követően kialakult helyzet.

folyékony kofferdám felvitelével tökéletesítettük, majd polimerizáltuk. Ezt követően a lézeres kezelés előkészítése részeként a hozzáférési nyílás méretét megnöveltük (6. ábra). A lézeres aktivációhoz egy SkyPulse lézerkészüléket (Fotona) használtunk AutoSWEEPS üzemmódban. Egy lapos végű 300/20 SWEEPS hegyet 1 W teljesítmény mellett alkalmaztunk (7. ábra). A fogbélkamrát NaOCl-oldattal feltöltöttük, majd a vezetőszál hegyét enyhén a mesiobuccalis csatorna

7. ábra: Fotona 300/20 fényvezető szál.

8. ábra: A gyökércsatornák átöblítését követően látható klinikai kép. – 9. ábra: A gyökértömés elkészítése után látható helyzet. – 10. ábra: Kontrollröntgen. Jól látható a gyökércsúcson túljutott sealer puff. – 11. ábra: Mesioexcentrikus irányból készített felvétel.

bemeneti nyílása alá vezettük és ebben a pozícióban aktiváltuk 120 másodpercen keresztül. Ezt követően a vezetőszál hegyét feljebb húztuk, úgy pozicionáltuk a fogbélkamrán belül, hogy a lökéshullám az öszszes csatornába be tudjon jutni. Eb-

ben a pozícióban 30 másodpercen keresztül aktiváltuk. Ezt a folyamatot 30 percen keresztül ismételtük. További mechanikai megmunkálást kizárólag a disztális csatornában végeztünk, amelyet 4%-os konicitás mellett #40-es méretig tágítottunk

fel. A mesialis csatornák méretét nem változtattuk meg, a dimenzióik megegyeztek az eszköztörés bekövetkezése előtti nagyságukkal. A végső előkészítés részeként a csatornákat EDTA-val töltöttük fel, amelyet 0,4 W teljesítmény mellett

1.

AutoSWEEPS üzemmódban alkalmazott lézer vezetőszállal aktiváltunk. Az EDTA eltávolítását követően a csatornákat NaOCl-lel töltöttük fel, amelyet három cikluson keresztül lézerrel aktiváltunk (0,6 W; AutoSWEEPS). Az egyes ciklusok között 30 másodperces szüneteket tartottunk. A mesiobuccalis és a mesiolingualis csatornák között erőteljes folyadékáramlást észleltünk, amely arra utalt, hogy a csatornák alkalmasak a gyökértömés elkészítésére.

A gyökércsatornákat és a fogbélkamrát elszívás és steril papírpoénok segítségével kiszárítottuk (8. ábra), majd a gyökértömést dugat ytyú technikával (piston technique) alkalmazott biokerámia tömőanyag segítségével (CeraSeal, META BIOMED) készítettük el. A sealert a gyökércsatornákba fecskendeztük, majd a csatornabemeneteket folyékony guttaperchával töltöttük fel (9. ábra). A gyökértömés elkészítését követően kontroll periapikális felvételeket készítettünk (10–11. ábra), amelyeken csúcsig érő és falálló gyökértömések ábrázolódtak, a gyökércsúcsoknak megfelelően pedig kis sealer puffok is észlelhetőek voltak.

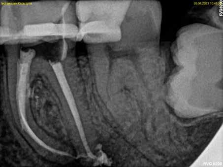
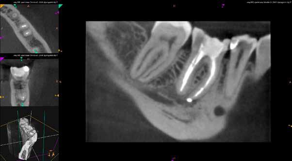
Második eset

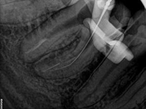
A páciens a jobb alsó első nagyőrlőfogából kiinduló közepes erősségű fájdalom miatt kereste fel a rendelőnket. Periapikális röntgen és CBCT-felvétel is készült. Mindkét felvétel a mesiobukkális gyökércsúcs körül található radiolucens elváltozás jelenlétét igazolta. Ezenfelül a mesialis gyökérben két betört eszközdarab is észlelhető volt. Az egyik a középső gyökéri harmadban a gyökérgörbület előtt volt megtalálható, a másik pedig kicsivel a gyökérgörbület után (12–13. ábra).

A terület érzéstelenítését és kofferdám felhelyezését követően a meglévő kompozittömést eltávolítottuk és a gyökértömés elkészítéséhez szükséges körülmények biztosításához folyékony kompozit és folyékony kofferdám felhasználásával egy ideiglenes felépítményt készítettünk (14–17. ábra). Ezt követően eltávolítottuk a gyökértömő anyagot a mesialis és a disztális gyökércsatornákból. A betört eszközökhöz való hozzáférés biztosítását követően a magasabban elhelyezkedő fragmentumot egy ultrahangos eszköz segítségével eltávolítottuk (18. ábra). Ezután a mélyebben fekvő darab koronális vége is láthatóvá vált. Sajnos az eltávolítandó gyökérkezelő tű a közepén kettétört és csak a koronálisabban fekvő részét sikerült eltávolítani (19. ábra). Mivel az apikális fragmentumra nem láttunk rá közvetlenül és az átöblítés, valamint aktiválás hatására sem emelkedett ki a csatornából, ezért az eszköz mellett történő elhaladás megkísérlése mellett döntöttünk. A CBCT-felvétel tanulmányozása során nem tudtuk egyértelműen megállapítani, hogy a két mesialis csatornának vajon egy közös vagy két különálló kivezetőnyílása van, ezért a mesiolingualis csatorna megmunkálása közben periapikális röntgenfelvételt készítettünk. A röntgenfelvétel alapján vagy egy lépcső-

képződés alakult ki a csatornán belül, vagy a mesialis gyökér két különálló kivezetőnyílással rendelkezik (20. ábra). A gyökércsatorna átöblítése során 300/20 SWEEPS vezetőszálat

alkalmaztunk (AutoSWEEPS üzemmód; 1,2 W).

A vezetőszál hegyét a mesialis csatornák esetében enyhén a bevezetőnyílás alá helyeztük. A gyökércsatornák megmunkálását a korábbi

közleményekben már ismertetett „Less-Prep Endo” protokollnak megfelelően végeztük. Az átöblítés során erőteljes áramlást észleltünk a mesialis csatornák között. [5] A csatornákat elszívás és steril papírpoénok segítségével szárítottuk ki (21. ábra). Ebben az állapotban sem éreztük a csatornák teljes átjárhatóságát és csak a mesiolingualis csatornának megfelelően éreztünk tugbacket. A mesiobuccalis és a disztalis csatornát epoxi-rezin alapú sealerrel töltöttük fel, majd a csatornákba meleg guttaperchát injektáltunk (squirting technique). A mesiolingualis csatornába egy 4%-os konicitással rendelkező #30-as guttapercha mesterpoént helyeztünk, amelyet continuous wave kondenzációs technikával tömörítettünk (22. ábra). Végső kontrollként egy disztoexcentrikus irányú periapikális röntgen készült (23. ábra). A felvételen a mesialis gyökércsúcs körül látható sealer puff, valamint hirdetés

12. ábra: A kiindulási CBCT-felvételen jól látható a periapikális felritkulás. – 13. ábra: A kiindulási röntgenfelvételen látható a két betört eszközdarab.

– 15. ábra: Kompozittömés eltávolítása . – 16. ábra: A kitisztított fogbélkamra. – 17. ábra: Kompoztfelépítéshez történő előkészítés. – 18. ábra: Az első eltávolított eszközdarab. – 19. ábra: A második eltávolított eszközdarab.

26. ábra: A kiindulási CBCT-felvételen két egymástól jól elkülöníthető periapikális lézió látható. – 27. ábra: A kiindulási röntgenfelvételen jól láthatóak a betört eszközök.

28. ábra: A kofferdám felhelyezését követően látható állapot. – 29. ábra: A maradék szuvasság eltávolítása és a folyékony kofferdámfelhelyezést követően látható klinikai helyzet. – 30. ábra: A gyökértömés eltávolítása. – 31. ábra: A felvételen egyértelműen láthatóak a gyökércsatorna-bemenet körül végzett jelentős mennyiségű pericervicalis dentin eltávolításának nyomai. A foganyagot valószínűleg ultrahangos eszközökkel távolították el, miközben a betört eszköz eltávolításához szükséges hozzáférést próbálták biztosítani. – 32. ábra: A gyökércsatorna-bemenet részleges helyreállítása folyékony kompozit segítségével. 33. ábra: A mesiobuccalis csatornában lévő gyökérkezelő tűk vége egyértelműen felismerhető.

a mesialis csatornák közti összeköttetések kitöltöttsége volt megfigyelhető. Ezután a hozzáférési nyílást kompozittal zártuk, majd a pácienst előjegyeztük kontroll céljából.

Hat hónap és 12 hónap múlva kontroll CBCT-felvétel készült (24–25. ábra). A felvételeken nem láttuk periapicalis gyulladás jeleit, valamint a páciens a gyökértömés elkészítése óta teljesen panaszmentes volt.

Harmadik eset

20. ábra: A radiológiai felvétel igazolja, hogy nem tudtunk a betört eszköz mellett elhaladni. – 21. ábra: Az átöblítést követően látható állapot. – 22. ábra: A gyökértömés elkészítését követően látható állapot. – 23. ábra: Kontrollröntgen.

ábra: Hat hónappal később készített CBCT-felvétel.

ábra: Tizenkét hónappal később készített CBCT-felvétel.

A CBCT-felvételen a fog mindkét gyökércsúcsa körül radiolucens elváltozás volt észlelhető (26. ábra). Ezenfelül a periapikális felvételen a mesiobuccalis gyökérben egy betört eszközt is felfedeztünk (27. ábra).

A terület érzéstelenítését és kofferdám felhelyezését követően a meglévő restaurátumot eltávolítottuk és folyékony kompozit felhasználásával egy ideiglenes felépítményt készítettünk. Az izolálást folyékony kofferdám segítségével tökéletesítettük (28–29. ábra). Ezután a korábban

A pácienst azért irányították a rendelőnkbe, hogy a protetikai kezelések megkezdése előtt három fogát revideáljuk. Ezek közül az egyik egy jobb alsó első nagyőrlőfog volt.

behelyezett guttapercha poénokat az összes csatornából eltávolítottuk (30. ábra). A gyökércsatornák és a fogbélkamra megtisztítása során megállapítottuk, hogy a mesiobuccalis gyökércsatorna bemenete körül korábban jelentős mennyiségű dentint távolítottak el (31. ábra). Ezt valószínűleg a betört eszköz eltávolítására tett kísérletek során végezték el. Szerencsére nem észleltünk perforációra utaló jeleket az adott területen.

A meggyengített részeket kompozit segítségével töltöttük fel (32. ábra).

A mesiobuccalis csatornát NaOCl-oldattal töltöttük fel, majd az átöblítőszert AutoSWEEPS üzemmódban

34. ábra: Az egyik betört eszköz, amelyet sikerült a lasszóba befogni. – 35. ábra: A kontrollfelvételen jól látszik, hogy nem maradt betört eszköz a csatornákban.

alkalmazott lézerkészülékkel aktiváltuk. A terület nagy nagyításban történő megfigyelése során (x16) két betört eszközfragmentumot azonosítottunk, amely még komplexebbé tette ezt az esetet (33. ábra). Mindkét fragmentum koronális része

jól látható volt, azonban mindkét eszköz teljesen meg volt szorulva a csatornában. Először ultrahangos eszköz segítségével próbáltuk meg őket eltávolítani, de mivel nem mu-

14. ábra: Kofferdámizolálás.
24.
25.

Nemzetközi Fogászati Kiállítás és Kongresszus 2024. október 10–12., Hungexpo

A Dental World kiemelt előadói

Dr. Chad Foster

Dr. Ioannis Vergoullis

Dr. Stavros Pelekanos

Dr. Martin Baxmann

Dr. Federico Ferraris

Dr. Michael Melkers

Dr. Shanon Patel

Dr. Alfredo Iandolo

Dr. Derek Mahony

Dr. Mohammed Zafrany

Dr. Igor Ristic

Dr. Jarett Hulse

Dr. Emmanuel Leal da Silva

Dr. Pedro Moura

Dr. Louis Hardan

Dr. Riccardo Ammannato

6. oldalról

tattak elmozdulási hajlamot, ezért lézeres aktiválással próbálkoztunk (AutoSWEEPS üzemmód; 1,2 W; lapos SWEEPS 300/20 vezetőszál). Átöblítőszerként NaOCl-t és EDTA oldatot alkalmaztunk. Néhány perc után mindkét fragmens kismértékű mobilitást mutatott, amely arra utalt, hogy az eltávolításuk lehetséges lehet. Végül mindkét eszközdarabot egy endolasszóval sikerült eltávolítani (BTR Pen, CERKAMED) (34. ábra). Az eltávolítás sikerességét periapikális röntgenfelvétel segítségével igazoltuk (35. ábra).

A betört eszközök eltávolítását követően az összes csatornát gépi tágítók segítségével munkáltuk meg, majd a végső átöblítési protokoll során az átöblítőszereket ultrarövid impulzusokkal (super-short pulse; SSP) aktiváltuk. Az átöblítés befejezésekor erőteljes áramlást észleltünk a mesiobuccalis és a mesiolingualis csatornák között. A csatornák szárítását követően megállapítottuk, hogy a mesialis csatornabemenetek nagysága közel azonos, amelyből az következik, hogy a betört eszközök eltávolítása konzervatív módon történt, mivel nem került kifejezett mennyiségű foganyag eltávolításra (36. ábra). A gyökértömés készítése során a csatornákat epoxi-rezin sealerrel töltöttük fel, majd a guttaperchát continuous

hirdetés

wave technikával kondenzáltuk (37. ábra). Végső kontrollfelvételként egy disztoexcentrikus irányból készült periapikális röntgenfelvételt készítettünk, amelyen egyértelműen látható, hogy a két mesialis gyökércsatorna közti teret a gyökértömő anyag jól kitöltötte (38. ábra). Ezt követően a fogat üvegszálas csappal megerősítettük, majd visszairányítottuk a kezelőorvosához, aki egy indirekt restaurátummal fedte. Tizenkét hónappal később kontroll CBCT-felvételt készítettünk (39. ábra). A felvételen nem voltak gyulladás jelei láthatóak, valamint a páciens is teljesen panaszmentes volt.

Megbeszélés

Az Er:YAG lézer nyújtotta lehetőségek endodonciai ellátásba történő integrálásával több új lehetőség nyílik meg a fogorvosok számára. A komplex endodonciai eseteket hatékonyabban, kiszámíthatóbb eredménnyel és konzervatívabb terápiák alkalmazása mellett lehet sikeresen ellátni. Sok esetben ultrahangos eszközök alkalmazása nélkül is meg tudjuk lazítani a betört eszközöket, amely sokkal konzervatívabb megközelítést tesz lehetővé számunkra. Mivel a lézerrel sokkal hatékonyabban tudjuk a gyökércsatornában lévő törmeléket eltávolítani, így a betört eszköz körül és a mögötte lévő csatornaszakasz

36. ábra: Az átöblítést követően látható állapot. – 37. ábra: A gyökértömés elkészítését követően látható klinikai helyzet. – 38.

kontrollröntgen. – 39. a–b ábra: Tizenkét hónappal később készített kontroll CBCT.

fertőtlenítését is úgy tudjuk kivitelezni, hogy közben nincs feltétlenül szükség a betört fragmentum eltávolítására. Ez olyan esetekben hasznos, amikor a tű például a gyökércsatorna görbülete mögött helyezkedik el. Az ilyen helyzetekben alkalmazott lézeres aktiválás esetén a hagyományos – a tű eltávolítására törekvő – protokollokkal szemben sokkal kisebb a perforációk kialakulásának az esélye.

Szerkesztői megjegyzés: Ez a cikk a Roots-International Magazine of Endodontics 19. kötet, 2023/2. számában jelent meg.

A cikkben felhasznált irodalomjegyzék megtekintéséhez, kérjük, olvassa be a QR kódot.

Dr. Bartłomiej Karaś

Dr. Bartłomiej Karaś 2009-ben szerzett fogorvosi diplomát a lengyelországi Wrocławi Orvosi Egyetemen. Oktató és számos, a minimálisan invazív endodontiára összpontosító publikáció szerzője. A Polskie Towarzystwo Stomatologiczne (Lengyel Fogászati Egyesület) endodontológiai szekciójának alelnöke, valamint az Európai Endodontológiai Társaság és a Lézerfogászati Világszövetség tagja. Dr. Karaś Wrocławban endodontiai magánrendelőt vezet.

QUO VADIS FOGÁSZAT?

Miközben a fogászatban felgyorsult a technológiai fejlődés, a rágószerv funkcionális zavarára (craniomandibuláris diszfunkció), gyógyítására és megelőzésére nem születtek érdemi válaszok.

Ezt a hiányt igyekszem pótolni A FIATALÍTÁS FOGÁSZATI KEZELÉSSEL című digitális könyvemmel.

Ötven éves kutatómunkám és gyakorlati tapasztalatom azt mutatja, hogy a sikertelen fogászati kezelések leggyakoribb oka a hibás harapás okozta ízületi fej kényszerhelyzet.

Az állkapocsízület kezelése tipikusan a legkevésbé értett téma, mégis remélem, hogy könyvem elolvasása után öszszeáll a puzzle-kép és Ön megkapja a kulcsot az eredményesebb gyógyításhoz.

Rendelje meg A FIATALÍTÁS FOGÁSZATI KEZELÉSSEL című digitális könyvet!

Ára: 18 000 Ft

Tartalom:

1. fejezet Bevezetés

2. fejezet A harapás tudományának története

3. fejezet Élettani és anatómiai összefüggések

4. fejezet Rutin fogászati gyakorlat

5. fejezet Az általam végzett gyakorlat

6. fejezet A harapás mérése

7. fejezet Mechanikus axiográfia

8. fejezet Becsiszolás

9. fejezet A megfiatalítás esztétikai feltétele

10. fejezet Még néhány gondolat

11. fejezet Magamról

12. fejezet Utószó Függelék

A Centrocc-módszer gyakorlata

Dr. Fehér Tibor (Centrocc Professional)

A könyv megvásárolható dental.hu webshopjában +36-30-472-0030, info@dental.hu

ábra: Végső

SEGÍT AZ ALÁBBI

ESETEKBEN:

A REGENERÁLÓDÁS EREJE ÚJRATERVEZVE

• Parodontális műtétek

• Fogászati implantátumok behelyezése

• Azonnali terhelésű eljárások

• Többszörös, összetett foghúzás után

• Csontregenerációs eljárás során (csontgraftok)

PARODONTOLÓGUSOK ÉS IMPLANTOLÓGUSOK RÉSZÉRE

Klórhexidindiglükonát 0.20

Anti Discoloration System®

CHX + ADS® NEW

Hialuronsav DNA/RNA

Polinukleotidokkal

A klórhexidin hat a gingivitis és a parodontális betegség etiológiai tényezőire. Az új ADS® rendszer továbbfejlesztésre került, hogy fokozza mindhárom pigmentációs mechanizmus teljesítményét, így minimalizálva a lehetséges mellékhatásokat. Ez az N-acetilcisztein (NAC) hozzáadásának köszönhető, a nátrium-metabiszulfit és aszkorbinsav mellett.

Polinukleotidok és a hialuronsav

A polinukleotidok segítenek csökkenteni a klórhexidin hosszan tartó használatának irritáló hatásait, míg a hialuronsav támogatja a szájnyálkahártya regenerációs folyamatát. Ideális parodontális plasztikai műtétekhez, parodontális műtétekhez, implantátum beültetéséhez és összetett foghúzásokhoz.

Arcesztétika-vezérelt fogszabályozó kezelések esztétikai paraméterei

Dr. Csiki Péter

Általánosan elmondhatjuk, hogy a fogszabályozó kezelés iránt érdeklődő páciensek az első konzultáció során elsősorban az esztétikai kívánalmaiknak adnak hangot, és ritka az olyan eset, amikor a funkcionális problémák kerülnek előtérbe a részükről.

Nagyon fontos, hogy a modern arc- és mosolyesztétika által vezérelt fogszabályozási elvek alkalmazásával – minden esetben – az esztétikai céloknak megfelelően kerüljön megvalósításra az okklúziós korrekció.

ajak megfelelő megtámasztásához és a harmonikus profilhoz; 6. Az állcsúcs megfelelő pozíciója az ideális profilhoz; 7. Mikroesztétika.

Az esztétikai megjelenés nagyon fontos része a mikroesztétika, azaz a fogak esztétikai formája, arányai, a fogakat összekötő konnektorfelszínek hossza, továbbá az íny lefutása.

A fogak formáját – megfelelő foganyag meglétével – a fogszabályozó kezelés előtt, alatt és után több lépésben elvégzett esztétikai fogkonturálással tudjuk megváltoztatni. Amennyiben nincs megfelelő foganyag a fogszabályozó kezelés

A természetes mosoly tervezésénél az alábbi esztétikai paramétereket kell figyelembe vennünk:

1. A mosolyvonal megfelelő íves lefutása;

2. A felső metszőfogak teljes vertikális láthatósága;

3. Az íny ideális láthatósága (hölgyeknél 1-2 mm, férfiaknál 0-1 mm);

4. A felső fogív megfelelő szélessége. A cél a 10 vagy 12 fogas mosoly, második premoláristól második premolárisig, vagy első nagyőrlőtől első nagyőrlőig;

5. A felső középső metszők antero-posterior pozíciója a felső

után, direkt/indirekt héjjal történhet meg a teljes esztétikai rehabilitáció.

A hosszú és szépen összefekvő fogak közötti ún. interproximális konnektorrészek megfelelő kialakítása a fogszabályozó kezelés közben elvégzett esztétikai, interproximális redukcióval történik. Ilyenkor tehát nem a torlódás feloldásához szükséges helynyerés miatt történik az IPR, hanem csakis kizárólag esztétikai okokból.

A lézeres ínykonturálással tudunk változtatni az íny lefutásán, és használatával véglegesíteni tudjuk a megfelelő fehér-rózsaszín szövetarányt. Ez tipikusan a fogszabályozó kezelés befejezése

után történik, általában a felső fogíven, akár első nagyőrlőtől első nagyőrlőig, ritkán bizonyos fogakon, az alsó fogíven is.

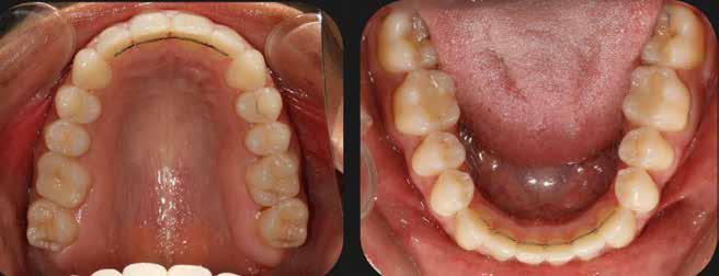
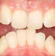
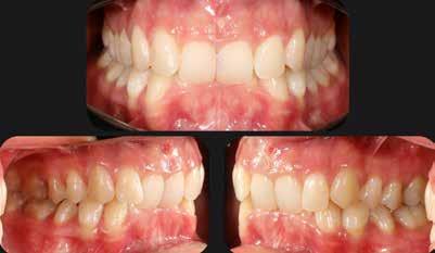
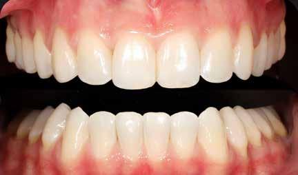
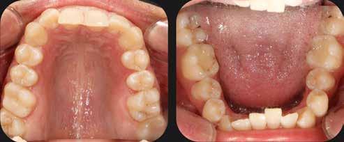
A 28 éves hölgypáciens is elsősorban a szép mosoly elérésének igénye miatt szeretett volna fogszabályozást, bár tudomása volt a mélyharapásáról (1–5. képek).

A kezelési célokat a fogívek tágítása a megfelelő mosolyszélességhez és az alsó frontfogak torlódásának feloldásához, valamint a mélyharapás és a kismértékű disztálharapás korrekciója jelentették (6–11. képek).

Passzív önligírozó fix fogszabá-

lyozó készülékkel 15 hónapig tartott a kezelése. Az ilyen mélyharapásos esetekben nagyon fontos, hogy a harapásemelésnél nem történik intrúzió a felső fogíven, mert az kifejezetten negatívan befolyásolná a vertikális mosoly-display-t! A fogszabályozó kezelés után, ahogy az általában lenni szokott, a bölcsességfogak eltávolításra kerültek. Mint minden esetben, a fogszabályozás aktív fázisa után a retenció, a passzív helyben tartó fázis a kezelési eredmény megtartásához rendkívül fontos!

Irodalomjegyzék

1. David M. Sarver, DMD, MS: Principles of cosmetic dentistry in orthodontics: Part 1. Shape and proportionality of anterior teeth American Journal of Orthodontics and Dentofacial Orthopedics Volume 126, Number 6

2. David M. Sarver, DMD, MS & M Janosky, DMD: Principles of cosmetic dentistry in orthodontics: Part 2. Soft tissue laser technology and cosmetic gingival contouring American Journal of Orthodontics and Dentofacial Orthopedics Volume 127, Number 1

3. David M. Sarver, DMD, MS & M Janosky, DMD: Principles of cosmetic dentistry in orthodontics: Part 3. Laser treatments for tooth eruption and soft tissue problems American Journal of Orthodontics and Dentofacial Orthopedics Volume 127, Number 2

Négy meghatározó úttörő nő a fogászatban

Ebben a cikkben négy olyan nőt mutatunk be, akik meghatározó szerepet töltöttek be a világ fogászatában. Túlszárnyalták az akkori női elvárásokat, és kitörtek abból a stigmából, hogy a fogászat egy férfiak által dominált szakma.

Lilian Lindsay

Lilian Lindsay áttörte azokat a tévhiteket, amelyek szerint a nők nem alkalmasak a fogorvosi hivatásra. 1895-ben ő lett az első képzett női fogorvos az Egyesült Királyságban, 1946-ban pedig a Brit Fogorvosok Szövetségének (BDA) első női elnöke.

Nagy erőfeszítéseket tett annak érdekében, hogy a fogászat a nők számára is befogadhatóvá váljon. Pozitívan állt a kihívásokhoz, és olyan időtlen örökséget hagyott hátra, amely továbbra is sok nőt inspirál a fogorvosi pályára. Lilian Lindsay célja az volt, hogy folyamatos erőfeszítései révén megteremtse a férfiak és nők közötti egyenlőséget a munkahelyeken.

1866-ban Lucy Hobbs volt az első nő, aki az Egyesült Államokban fogorvosdoktori diplomát szerzett.

A fogorvosi pálya választását az motiválta és hajtotta, hogy „olyan szakmába lépjen, ahol nem csak a homloka verejtékével, hanem az eszével is megkeresheti a kenyerét”. Ezt a gondolkodásmódot, hogy nőként elégedettséget találjon a munkában, rossz szemmel nézték, de az őt körülvevő kritika, negativitás és

elutasítás ellenére Lucy Hobbs megmutatta elszántságát, amelyet nem lehetett egykönnyen elnyomni.

A fogászatba vezető útja nem volt egyenes – eredeti vágya az volt, hogy orvosi pályára lépjen. Az általa választott egyetem azonban megtagadta tőle a lehetőséget, hogy náluk tanulhasson. Az Ohio College of Dental Surgery dékánja vendégül látta őt a klinikáján, és beleegyezett, hogy mentorálja őt. 1861-ben szembesült a rideg valósággal, hogy nőként nehéz lesz az áttörés, mivel

az egyetem továbbra sem volt hajlandó beíratni őt, immár a fogorvosi továbbképzésre.

Ennek ellenére rendelőt nyitott Iowában, és kiváló hírnevet szerzett magának. Nem sokkal később a férje mentora lett, és együtt vezettek sikeres praxist. 1866-ban az ohiói főiskola elismerte a szakmához való pozitív hozzájárulását, és felvette az egyetemre. Sikeresen lediplomázott.

Hobbs kampányolt a nők jogaiért, és élete utolsó napjaiban is praktizált.

Emeline Roberts Jones

Emeline Roberts Jones elhatározta, hogy fogorvos lesz. Nőként azonban nem volt könnyű dolga, mivel a fogorvosi egyetemekre nem vettek fel nőket abban az időben. Ennek ellenére megtalálta a módját, hogy diszkréten gyakorolhassa a fogászati kezeléseket, így töméseket és foghúzásokat végzett. Férje szintén fogorvos volt, és 1855ben saját rendelőt alapítottak. A munka mellett természettudományi

tárgyakat is tanult, hogy összefüggésbe hozza, milyen hatással lehet a szájüregi egészség a test többi részére, és fordítva. Férje 1864-ben meghalt, ezután Emeline teljes mértékben átvette a rendelő irányítását, és sikeresen vezette azt, hogy anyagilag támogassa két kisgyermekét.

Az 1893-as Columbiai Fogászati Világkongresszuson az első női fogorvosként országos elismerést kapott. Ugyanebben az évben ő lett a 18. fogorvos, aki Connecticutban engedélyt kapott.

Ida Gray

Ida Gray volt az első afroamerikai nő, aki fogorvosi diplomát szerzett, 1890-ben.

Az a megtiszteltetés érte, hogy Jonathan Taft mellett dolgozhatott, a középiskolai tanulmányai alatt. Jonathan Taft lett a Michigani Egyetem fogászati karának első dékánja. Támogatta a nők felvételét a programba, és Ida Gray-t is a beiratkozásra ösztönözte, hogy lehetőséget kapjon a fogorvosi karrierre. DT

„Próbáljon meg készíteni egy 3D nyomtatott héjjal készült teljes fogsort egy

teljes ívrekonstrukcióhoz”

Anisha Hall Hoppe, Dental Tribune International

Egy új esetsorozat dokumentálta a 3D nyomtatott héjas teljes fogsorok tesztelését és használatát diagnosztikai eszközként az implantátumtervezés és az ideiglenes restauráció gyártása során a teljes íven történő helyreállítás felgyorsítása érdekében. A Dental Tribune International beszélgetett a kutatást vezető dr. Francisco X. Azpiazu-Flores-szel, az amerikai Indianapolisban található Indiana University School of Dentistry Prosthodontics Department of Prosthodontics munkatársával arról, hogy a kutatás rávilágít arra, hogy ez a megközelítés egyszerűsíti és racionalizálja a folyamatot, valamint klinikai és laboratóriumi időt takarít meg, és jobb esztétikai és funkcionális eredményeket kínál.

Dr. Azpiazu-Flores, mi az a 3D nyomtatású teljes fogsor?

A 3D nyomtatott héjas teljes fogsor egy diagnosztikai készülék. Fő célja, hogy meghatározza a leendő műfogak helyzetét a kívánt függőleges dimenzióban, centrikus viszonyban, amelyek mind elengedhetetlen elemei a fogászati implantátumokkal történő sikeres teljes szájpótlásnak. Az elülső fogak pozícióját a héj teljes fogsorral határozzuk meg, és a

A 3D nyomtatás végtelen lehetőségeket nyitott meg a jelenlegi fogászati helyreállítási eljárások drámai javítására. (Kép: Scharfsinn/Shutterstock)

metszőél pozíciója a tervezés során a 3D modellező szoftverben digitálisan módosítható az intraorális és extraorális fényképek referenciaként történő felhasználásával, vagy szükség esetén a páciens által kívánt esztétikai eredmény elérése érdekében a fogászati kompozit segítségével a műtőszékben is módosítható. E paraméterek meghatározása és intraorális validálása után a páciens elégedettségének optimálisnak kell lennie.

Kifejtené, hogy a 3D nyomtatott héjprotézisek milyen pontossággal reprodukálják az esztétikai és funkcionális jellemzőket, például a metszőélek helyzetét, a középvonal igazítását és az okkluzális sík orientációját?

A héjas teljes fogsor megőrizheti a páciens meglévő protézisének esztétikáját, ha az megfelelő, és ha a műfogakon akár funkcionális, akár

esztétikai okokból változtatásokra van szükség, azok digitálisan vagy a műtőszékben módosíthatók. A metszőél pozíciója, a középvonal és az okkluzális sík orientációja szükség szerint módosítható anyag hozzáadásával vagy eltávolításával ehhez a diagnosztikai készülékhez. Mivel ez a készülék csak a kívánt protetikai kontúrok láthatóvá tételét és meghatározását segíti, a klinikus széleskörűen módosíthatja a készüléket anélkül, hogy aggódnia kellene amiatt, hogy a módosítások befolyásolnák a készülék hosszú távú tartósságát.

Milyen kihívásokkal szembesült a digitális munkafolyamat során a teljes ívű fogsorok 3D nyomtatással történő készítése során? Vannak olyan speciális kozmetikai megfontolások vagy kiigazítások, amelyeket nehezebb kezelni a hagyományos módszerekhez képest?

A héjas teljes fogsor egyik lehetséges korlátja, hogy ha instabil hátsó okklúzióval vagy hiányos elülső fogkapcsolatokkal rendelkező teljes fogsorból készül, és a klinikus nem

tudja ezt digitálisan vagy a műtőszékben azonosítani és korrigálni, akkor ezek a kedvezőtlen elemek átkerülhetnek a héjas teljes fogsorra, majd a fogászati implantátumok tervezésébe, ami pontatlan implantátumtervezéshez és -beültetéshez vezethet. Ezenkívül a modellező számítógépes program használatának megtanulása időt igényel. A legtöbb fogorvos azonban manapság már nagyon jól ismeri az ilyen szoftverek használatát, így a tanulási idő nem lehet túl nagy. Hogyan befolyásolja a 3D nyomtatott héjjal készült teljes fogsor az arc és az ajkak tartását a hagyományos módszerhez képest? Vannak olyan speciális technikák, amelyeket a lágyszöveti alátámasztás optimális esztétikai eredményének biztosítása érdekében alkalmaz? Az arc és az ajak alátámasztása fontos paraméterek a fogatlan betegek rehabilitációja során. E paraméterek értékelésére hagyományosan a perem nélküli teljes fogsorokat vagy műfogsorokat használják. A 3D nyomtatott héjas teljes fogsorral a műfogak pozíciójának meghatározása és intraorális validálása után egy 3D nyomtatott, perem nélküli készüléket lehet készíteni a héjas teljes fogsor műfogainak kontúrjait felhasználva. Ez egy további időpontot igényel; ez azonban a felső

állcsont teljes fogsorának helyreállításához szükséges lépés.

Van még valami, amit szeretne, ha olvasóink tudnának erről az esetsorozatról vagy más kutatásról, amelyen dolgozik?

Szeretném őket arra bátorítani, hogy próbálják meg a 3D nyomtatott héjjal készült teljes fogsor elkészítését a következő fogászati implantátumokkal történő teljes fogsor helyreállításához! Ez egy egyszerű módszer, amely megkönnyíti a munkájukat. Arra is bátorítom őket, hogy bővítsék ennek a technikának az alkalmazási területét a készülék kialakításának a klinikai forgatókönyvükhöz igazításával!

Jelenleg más protokollokon dolgozom a több vagy egyetlen implantátummal történő restauráció felgyorsítására. Ha az olvasókat érdekli, hogy megnézzék ezeket, a ResearchGateprofilomra hivatkozhatnak. DT

Szerkesztői megjegyzés: a „3D nyomtatott héjas teljes fogsorok mint diagnosztikai segédeszköz az implantátumtervezéshez és az ideiglenes fogpótlások gyártásához teljes íjrehabilitációkhoz: „A case series”, című tanulmány a Journal of Prosthodontics című folyóiratban jelent meg online 2024. július 22-én, a lapszámba való bekerülés előtt.

fehér szín …

és mindez 1 fecskendőben!

3 viszkozitás –végtelenül sok lehetőség

Az OMNICHROMA családban a szabadalmaztatott Smart

Chromatic Technology a strukturális színeknek köszönhetően fokozatmentes színilleszkedést biztosít A1-től D4-ig. Emellett 3 különböző viszkozitás áll rendelkezésre minden preferenciához és felhasználási területhez. Így az OMNICHROMA család minimális anyagfelhasználás mellett minden elképzelhető lehetőséget biztosít a felhasználó számára.

OMNICHROMA –nincs szükség ennél többre a modern helyreállító kezeléshez.

Ha többet szeretne megtudni:

mesterséges színpigmentek nélkül „automatikusan” illeszkedik a fogszínhez

Bis-GMA-mentes készítmény a jobb biokompatibilitás érdekében

fenntartható készletgazdálkodás csak 1 színt kell rendelni és nincsenek lejárt különleges színek

A

Luke Hutchings arról beszél, hogy a mesterséges intelligencia a fogászatban hogyan vált a mindennapi munka részévé a szakmán belül, és azt jósolja, hogy ez a tendencia folytatódni fog.

Mindenki, aki ma fogorvosi tevékenységet folytat, ezt a mesterséges intelligencia (AI) támogatásával teszi. Akár teljesen digitális munkafolyamatot használ, akár nem, valószínűleg számos AI-támogatott technológiára támaszkodik majd a páciensekkel való kommunikációban, a betegek ellátásában és a vállalkozás működtetésében.

A mesterséges intelligencia egyre inkább átformáló eszközzé válik a fogászatban, észszerűsítve a szakmai csapat munkáját és javítva a betegélményt.

Mesterséges intelligencia – mi ez a nagy felhajtás?

Egyszerűen fogalmazva, a mesterséges intelligencia megkönnyíti az életünket a gyakorlatban, miközben javítja az általunk nyújtott ellátás minőségét. Széles körben alkalmazzák például a diagnosztikai és kezeléstervezési szakaszokban. Ebben az összefüggésben segíthet biztosítani, hogy a röntgenfelvételekről semmi se maradjon ki, kiemelve az anomáliákat és támogatva a klinikai döntéshozatali folyamatot. A technológia lényegében egy második szempár, amely a potenciális problémás területeket keresi, és nagyobb bizalmat ad a fogorvosoknak abban, hogy a diagnosztikai felvételek alapján mindent azonosítottak, amit csak lehetett.

Már arra is vannak bizonyítékok, hogy a betegek értékelik az orvosi elfogultság csökkenését és a diagnosztikai pontosság javulását, mint ami a mesterséges intelligenciával támogatott egészségügyi ellátással jár [1] – bár még mindig az emberi interakciót részesítik előnyben a teljesen automatizált ellátással szemben. A technológia segíthet a legmegfelelőbb kezelési terv megtervezésében is, automatizált folyamatok segítségével gyorsabbá és egyszerűbbé téve a kezelési út ezen szakaszát.

A másik terület, ahol a fogorvosok a mesterséges intelligenciát magukévá teszik, a klinikai nyilvántartás. A feljegyzések készítése létfontosságú, de nehézkes napi feladat,

amely jelentős időt igényel, és a hagyományos módszerek alkalmazása esetén a konzultáció során elvonhatja a figyelmet a páciensről. Ma már számos olyan megoldás áll rendelkezésre, amelyek ezt a feladatot gyorsabbá és könnyebbé teszik a fogorvosok számára, miközben csökkentik a peres ügyek kockázatát is.

Egyes platformok a rendelés során követendő jegyzetsablonokat kínálnak, amelyek biztosítják, hogy semmi sem maradjon ki, míg mások a betegellátásról készített hangfelvételt biztosítanak, hogy minden egyes alkalommal teljesen azonos jegyzeteket készíthessenek. Ezek a klinikus számára a védelem új rétegét jelentik, ha a beteg panaszt tesz, és teljes lelki nyugalmat biztosítanak a szakmai csapat számára.

Mi a következő lépés?

Bár senkinek sincs kristálygömbje, nem túlzás megjósolni, hogy a mesterséges intelligencia az elkövetkező években még nagyobb szerepet fog játszani a fogászatban. Meglévő alkalmazásai bővülnek és diverzifikálódnak, tovább javítva mind a páciensek, mind a szakemberek élményét.

A számítógéppel támogatott tervezés/számítógéppel támogatott gyártás területén is jelentős növekedésre számítok. Ez egy olyan terület, amelyet a mesterséges intelligencia valóban előremozdíthat, megkönynyítve a különböző eszközök és készülékek automatizált gyártását, ami rendkívül hatékony folyamatot tesz lehetővé mind a fogorvosi rendelőben, mind a laboratóriumban. A kezdeti kutatások [2] azt sugallják, hogy a mesterséges intelligencia hatalmas lehetőségeket rejt magában a folyamatoptimalizálás, a minőség-ellenőrzés és a prediktív karbantartás terén.

A mesterséges intelligenciával támogatott marógépekre vonatkozó jelenlegi javaslatok különösen érdekesek, és azt jósolom, hogy a berendezések következő generációja ismét át fogja alakítani a fogászati tevékenységünket.

Akár a korai alkalmazók közé tartozik, akár nem, a mesterséges intelligencia által vezérelt technológiák ma már nagyon is a világunk részei.

A fogászat már teljesen integrálódott ebbe a technológiába, és a jövőben csak további fejlődésnek lehetünk tanúi.

Irodalomjegyzék

1. Padgett, 2023

2. Khadka et al, 2023

Dental Press 2024 magazin előfizetési

Kép: Shutterstock
Kép: Shutterstock

előfizetés esetén fogászati szakkönyveink ajándékba webshopos, bankkártyás vásárlás esetén.

Sok fogorvos kezelt már olyan gyermekeket és tinédzsereket, akiknek hosszú távú fogászati problémáik voltak a hüvelykujjszopás miatt. De mi okozza pontosan a hüvelykujjszopást? Milyen problémákat okoz? És ami talán a legfontosabb, mik a legjobb megoldások rá?

A hüvelykujjszopás

A hüvelykujjszopás természetes dolog. Már az anyaméhben elkezdődik, és gyakran a gyermek négyéves koráig tart. Azonban mint minden viselkedésnek, ennek is nagyobb hatása lehet, ha hosszú távon folytatódik, és egyre nehezebb lesz abbahagyni.

Azok a gyermekek, akik négy-öt éves koruk után is szopják a hüvelykujjukat, általában küzdelmi mechanizmusként teszik ezt. Ez különösen élesen jelentkezhet változások idején: például új iskola, új ház vagy testvérek érkezése esetén. Természetesen ezek meglehetősen gyakori változások lehetnek a családok számára, amelyek hozzájárulhatnak a hüvelykujjszopás gyakoriságához.

Ha a változás állandó, mint ahogy ez gyakran a felnőttek és a gyermekek számára is így van, akkor ez szorongóvá és vigaszra szorulóvá teheti a gyermekeket. Minél több szorongást él át a hüvelykujját szopó gyermek, annál inkább hajlamos a hüvelykujjszopásra. Ez pedig ördögi körré válhat.

További okok, amiért egy gyermek kitartóan szopja a hüvelykujját, az éhség és az unalom. Mivel a hüvelykujjszopás szokása az anya-

• A fogak szabálytalan elhelyezkedése miatt beszédproblémák, mint például a selypítés, a pontatlan kiejtés és a nyelv kidugása beszéd közben. A szájpadlás megváltozott alakja és szűkülése.

• Rágási problémák.

Nem csak fogászati problémákról van szó. A hosszú távú hüvelykujjszopás egyéb mellékhatásai közé tartozik a hüvelykujj és a száj berepedezett bőre vagy sebei, a tartós fertőzések, az alacsony önbecsülés és a hajlam más viselkedési formákra, például a túlzott hajcsavarásra vagy a bőrharapdálásra való hajlam. Szinte biztos, hogy a cikket olvasó fogászati szakemberek közül sokan találkoztak már a gyermek hüvelykujjszopásának ilyen közvetlen mellékhatásaival. Sajnos a gyermek és szülei számára, mire a fogorvos tudomást szerez ezekről a problémákról, azok valószínűleg már összetettebbek és nehezebben kezelhetők. Mit lehet tehát tenni?

Megelőzés ésmegoldások

A megelőzés kulcsfontosságú, és számos megoldás létezik. Az egyik általánosan használt megoldás a csere. Ha a gyermek a hüvelykujjszopást a kényelemmel társítja, hasznos lehet, ha alternatívát biztosítunk számára, például egy plüssállatot vagy egy nyugtató takarót. Azzal, hogy a szülők alternatívát kínálnak, megmutatják a gyermeküknek, hogy megértik, hogy kényel-

Kép: Adobe.stock
Kép: Adobe.stock

Eltűnt személyek és halottak

fogazatuk alapján történő azonosítása

Etikai és jogi dilemmák

Dr. Sági István, dr. Budai Mária

A XXI. századi paradigmaváltás sok újat hozott a Törvényszéki Orvostan (Forensic Medicina) területén is. A megnövekvő katasztrófák és a tudomány fejlődése szükségessé tette a további új lehetőségek kidolgozását. Elengedhetetlen ismereteket ad számunkra a történeti részek ismerete.

A Törvényszéki Orvostan (Forensic Medicina) eredete a latin Forumból származik és a törvénykezés helyét jelentette. „A fórum a rómaiaknál köztér, piac, nyilvános hely, a városokban vásár és a gyülekezés céljára építették. Az ókori Rómában hozzávetőlegesen 18 hasonló ilyen nyilvános tér volt, amelyek a következő kategóriákra tagolódtak: törvénykezés tere, kereskedelmi tér: marhavásár, zöldség-, hal-, hús-, sertéspiac stb. céljára” (2, 3), (1. ábra).

Az 1842-ben megjelenő első magyar Törvényszéki Orvostan könyvében írta le dr. Eltér József, hogy a megölt Julius Caesart, Antisius római

és a középkorig ehhez igazodott a büntetés. Az „orvos szakértő”-t csak eseti alkalmakra vették igénybe. A XIV. században indult meg a fejlődés azzal, hogy elkezdődtek a boncolások.

1532-ben megjelent a törvénykönyv, a Constitucio Criminális Carolina, amelyben leírták, hogy a bizonyítási eljárásban kötelező az orvostanú meghallgatása. A következő esetekben volt kötelező a boncolás: emberölés, szexuális bűncselekmény, halva születés. Egyéb történeti leírásokat is említ a szakirodalom (10, 18).

1770-ben Amerikában a polgárháború idején dr. Paul Revere volt az első törvényszéki fogorvos, akinek fogazat alapján kellett az elesett katonákat azonosítania. Említésre méltó, hogy megjelentek a hullarablók, akik az elesett katonák fogait eltávolították az állkapcsaikból és jó pénzért értékesítették (11, 27), (3. ábra).

Az 1881-es párizsi tűzvész során csak a fogazat állt rendelkezésre a személyek azonosítására. 1897-ben dr. Oscar Amodeo, a Párizsi Egyetem Fogorvosi Iskola professzora

orvos vizsgálta meg, aki a vizsgálat során megállapította, a 23 tőrdöfés közül csak egy, a mellkasát érő volt halálos (2, 3, 6). Látható, hogy már a korai időszakban is létezett Forensic Medicina (2. ábra).

A Perzsa Birodalomban a sérülések 7 kategóriáját különböztették meg

Moszkvában a Nemzetközi Orvosi Kongresszuson előadást tartott „a Bazar de la Charite, Paris and 4th May, 1897” címmel, amelyben leírta a fogorvosok szerepét a katasztrófa áldozatainak azonosításában. Oscar Amodeót tekintik a törvényszéki fogászat atyjának, az általa leírt és ma is használt a törvényszéki nómenklatúra (10, 11, 18), (4–5. ábra).

A Törvényszéki Fogorvostan a fogászatnak az a szakterülete, amely az igazságügy szempontjából a legértékesebb vizsgálatokat adja a megfelelő fogászati leletek segítségével. 1900-ban megalakult Párizsban a Federation Dentaire Internationale (FDI) (6. ábra). Az FDI definíciója: „a törvényszéki orvostan szakterülete, amely az igazságügy számára lényeges vizsgálatok segítségével és a fogászati leletek értékelésével, az igazságügyi fogászat olyan vizsgálatokat végez, amely mind a kriminalisztikában, mind a civil esetek folyamatában szerepet játszik”.

Hazánkban 1793-ban kezdődött a Törvényszéki Medicina oktatása a Budapesti Egyetemen. 1876-ban az egyetem átköltözött Nagyszombatra, amely a Pázmány Péter Egyetem jogelődje volt. A Törvényszéki Medicina tantárgyat professzor Böhm Károly oktatta, aki Eltér József tanítványával annyira megszerettette a tantárgyát, hogy ő maga is ezzel kezdett foglalkozni. 1842-ben megjelent a Medicina Forensic mint első magyar könyv, amelyet Eltér József írt (5).

Az elkövetkező 17. századtól a 19. század közepéig számtalan kétes bűnügy történt, amelyek bizonyítása, magyarázata nagyon eltérő, emiatt a szerzők ezeket nem részletezik. Az azonosítás interdiszciplináris területek szoros kapcsolatával lehetséges. Az igazságügyi fogorvosi szakértő feladata az adatok kutatása, a megmaradt ismeretlen emberi test, illetve a katasztrófa áldozatainak azonosítása, például képet lehet alkotni a halott életstílusára, az étkezési szokásokra. Mind a törvényszéki, mind az antropológiai szempontok szerint a megmaradt csontok alapján el tudják dönteni az ismeretlen holttest etnikai hovatartozását. 1944-ben kiadták profeszszor Schranz Dénes Stomatológiai Orvostan című könyvét, amely új tantárgyként jelent meg a fogorvoslásban (25.) A rendkívül alapos munka kihangsúlyozza a személyazonosításnál a fogászat jelentőségét. A vizsgálatok, leletek nagyon fontos jogi alapot adnak az eltűnt személyek azonosításához. A fogak azért is nagyon alkalmasak a postmortem vizsgálatokra, mivel a fogzománc az emberi test legkeményebb szövete. A fogászati dokumentációk segíthetnek és könnyen visszanézhetőek a feljegyzett kezelések az azonosításnál, mert valamennyi emberi foggarnitúra egyedi, szerkezetének egyéni ismertető jelei vannak (10, 11, 14, 18, 25).

A törvényszéki fogászat gyakran a képek alapján állapítja meg az általános jellemzőket. Ez ismert eljárása a postmortem vizsgálatoknak. A fogazat elemzése során lehetőség van az életkor meghatározására, Nemeskéri és Harsányi a Halimba-Cseres temető X–XII. századi csontvázak alapján életkori meghatározásokat is végeztek (21).

A fogazat azonosításának alapjai

Az emberi fogazatban nincs két egyforma fogazat, az emberi fogazat morfológiailag is nagy variációt mutat. A fog a halál után is ellenálló a környezeti hatásoknak. A fogak különböznek mind méretben, mind formában és a gyökerek alakjában

és számában is változatosak lehetnek. A felnőtt embernek általában 32 foga van. A fogaknak 4 típusát különíthetjük el: molarisok, premolárisok, szemfogak, metszőfogak. Általánosan elfogadott tény, hogy nincs két olyan egyén, akinek a szájképletei és fogazata teljesen hasonló. Ma már a talált adatokat, jellegzetességeket a kutatók komputeren rögzítik, amelyekkel láthatóan bizonyítható, hogy nincs két egyforma foggarnitúra (1. táblázat).

A fogazat egyedi sajátosságán alapuló személyazonosítás alapos vizsgálattal, részletes, gondos megfigyeléssel regisztrálható, mivel számtalan befolyásoló tényező is közrejátszik. Az orvos szakértőnek az egyén életében élettani és kórélettani hatásokra is figyelemmel kell lenni, pl. verekedés, baleset, foglalkozási ártalmak vagy fogazati kezelések. Kiterjedhet figyelmük a halott identifikálására a tömések mellett a fix

és kivehető fogpótlásokra is, éppen ezért fontos segítség lehet az antemortem kartonrendszer (24).

A fogazat jellemzői, amelyek segítik a vizsgálatot

Általánosságban mondhatjuk a vizsgálat során a fogazat jellemzőit és módszereit.

1. Minden emberi test hasonlóan viselkedik, ezek a kvantitatív méretek segítenek a viszonylagos életkor megállapításához.

2. Minden ember foggarnitúrája egyéni, amely jelek segítenek a fogazati leletek feljegyzéséhez.

3. A fogzománc az emberi test legkeményebb szövete, így jobban ellenállnak a traumáknak is.

4. Nem száradnak ki, a hőhatásnak, nedvességnek jobban ellenállnak, mint a test bármely szövete.

5. A fogak pulpaszövete alkalmas

1. ábra: Forum Romanum.
2. ábra: Julius Caesar szobra Róma főterén.
3. ábra: A függetlenségi háború.
4–5. ábra: Dr. Oscar Amodeo, a Forensic Odontology atyja.
6. ábra: Federation Dentaire Internationale alakulása (FDI, 1900).

DNS-vizsgálathoz, mind a nuclearishoz, mind a mitochondralishoz, amely szintén segít a személyazonosításnál. A két utóbbi vizsgálat jól felszerelt és magasabb szintű genetikai laboratóriumokban lehetséges (22). Az igazságügyi genetikai laboratóriumok módszerei újabb előrelépést jelentenek az ismeretlen holttestek azonosításában, a nemek meghatározásában, illetve a fajok meghatározásában. Az európai felosztás szerinti fajok: europid, mongolid, negrid, australid. A törvényszéki fogorvosok a gyakorlatban ezeken a területeken tudnak felelősségteljesen vizsgálni (25, 29, 30).

Életkor meghatározása

Az életkor meghatározásának lehetőségei: fejlődő fogazaton látható, az egyes fogak, fogcsoportok fejlődése közben kialakult vagy szerzett rendellenesség. Ide sorolhatók az alaki vagy számbeli eltérések, állcsontok eltérései. Gyermekeknél a fogak előtörése utalhat az életkorra (1. táblázat). Az életkorral kapcsolatos változások mind a fejlődés, mind az öregedés, a fogazat egyes életkorában különböző. Az embrionális élettől kezdődően a 12–13. életévig a fogazat állapotából igen jól meg lehet határozni a kronológiai életkort. 13–20. életév között a bölcsességfogak gyökerének fejlettségi fokából állapítható meg az életkor. A 20–22. életévnél idősebbeknél a maradó fogazat változásai vehetők figyelembe. A maradó fogazat esetében, főként idősebbeknél már élettani és kórélettani változások láthatók. Ezzel kapcsolatban több irodalmi adat ismert. a) abrázió (attríció): a rágófelszín élettani kopása, amelyet régebben az egyetlen olyan jelnek tekintet-

tek, amelyből következtetni lehet az életkorra.

A folyamatot számos körülmény befolyásolja. Az abrázió fokának megállapításánál külön-külön kell figyelembe venni a legkifejezettebb kopási fokot és feltüntetni. A kontaktpontokon látható fogkopás a fog élének meghatározása során nem értékelhető. Az életkori változásokkal idős korban a fogkopások és a processus alveoláris sorvadása figyelhető meg. b) a szekunder dentinállomány: az öregséggel kapcsolatban folyamatosan vastagodik a pulpaüreg, majd a gyökércsatorna is beszűkül. Ez az élettani folyamat utal az életkorra, ha röntgenfelvételekkel megmérjük a canalis dentist a gyökér három helyén és a gyökér átmérőjét, a kettő hányadosa az ún. gyökércsatorna-hányados, számszerű értéke az életkorral fokozatosan csökken.

c) a cement appositio: a kor előrehaladásával lassan és folyamatosan zajlik le, a mesenchymalis szövetek fokozott aktivitása miatt a fiataloknál sem ritka a hypercementosis.

d) a gyökér felszívódás: sokan patológiás folyamatnak tartják, amely viszont nem képezheti az életkor meghatározását, míg mások a gyökérfelszívódást mindig az életkor-meghatározás fontos részjelenségének tartják.

e) a gyökér transzparenciája: fokozódása a dentincsatornák folyamatos beszűkülésének, a mineralizációjának a következménye. E csatornák átlagos átmérője fiataloknál 1,5 mikron, 50 év felettieknél 1,2 mikron, 70 év körüli egyéneknél 0,2 mikron. Ez a jelenség jó életkori jelzőnek tekinthető. f) az öregkor: számos egyéb változással is együtt jár: az állkapocscsontok sorvadása, porózisa, a fogak elvesztése sorvadás miatt, a fogbél mikroszkopikus szerkezetének átalakulása, a szájnyálkahártya

és a nyelv felszínének sorvadása (10, 11, 23, 25, 29, 30), Kvaal (7. ábra). Felnőttek korának meghatározásánál jól használható a fogak abráziójának és mértékének vizsgálata. Élharapásnál mind a frontfogak, mind a moláris fogak kopottak, míg mélyharapásnál a moláris fogakon lehet látni nagyobb abráziót. Ismeretes, hogy a pulpa az életkor előrehaladtával fokozatosan beszűkül, ez jól felhasználható az életkor becslésekor. Gustafson életkor-meghatározási módszere az előbb felsorolt jeleik alapján jól meghatározható. A módszer lényege, hogy a hat jelenség mindegyikét 0–3 közötti számértékben határozta meg, amelyeket összeadott és regressziós-egyenlet segítségével határozta meg a kopás mértékét. Gustafson az indexe segítségével viszonylag pontos életkori meghatározást dolgozott ki, amelyet későbbiekben Kvaal, Johanson módosított. Lamenden és mtsai kiegészítették a frontfogak gyökér transzparenciájával. Kvaal és mtsai a matematikai kalkulációkat komputerre vitték, a Gustafson-index segítségével a gyökércsatorna magasságában mérték a pulpa szélességét, ez jól mutatta az életkor becslését (12, 15, 16, 17), (7–8–9. ábra).

A Semmelweis Egyetem Gyermekfogászati és Fogszabályozási Klinikán Kéri–Tarján–Szívós a Gustafson-index mellett a gyökércsatorna életkori változásait periapikális röntgenfelvételek alapján mérték. Erre a nagyon precíz és hasznos mérésekre a Tadokoro-módszert használták, a gyökereken három mérési pontja alapján (13).

A nemek meghatározása

A nemek meghatározására kevés irodalmi adat áll rendelkezésre. A

ha a lelet hiányos és más, biztosabb alap a véleményadáshoz nem áll rendelkezésre. Teljes koponya megléte esetén a felsorolt nemi jellemzők csak mint részadatok értékelhetők.

A fogak maximális mesio-distalis szélességben – az említett szerzők szerint – még statisztikailag értékelhető különbség sem volt a két nem között. A fogazat alapján való nem meghatározását nehezíti az is, hogy a fiúgyermek sokszor anyjának, a leány pedig apjának fogazati sajátosságait örökli (19).

nemi dimorfizmus adatainak a frontfogak mesio-distalis átmérője ismert, illetve a Müllreiter-féle jel.

A nők fogai lekerekítettebbek és a metszőfogai szélesebbek, mint a szemfogak. A férfiak metszői szögletesebbek és méretben a szemfogakkal egyenlők. A nők angulus mandibulae hajlásszöge is lekerekítettebb, mint a férfiaké. Az állcsontokon az angulus mandibulén figyelhető meg, hogy a mandibula hajlásszöge újszülötteknél mindkét nemben átlagosan 140°. Az állkapocsszöglet nemi különbsége kb.

A csontváz és a fogazat nemi jellegzetességei

a) kvalitatív: alaktani különbségek, amelyek anatómiai leírással rögzíthetők.

b) mennyiségi: különbségek is lehetnek, ez utóbbiak méretekkel vagy jelzőkkel, indexekkel határozhatók meg. Ha a teljes koponya rendelkezésre áll, a helyes vélemény kialakításának valószínűsége 80–90%, a töredékes koponya, fogazat meglétekor a helyes vélemény valószínű-

20–60 éves korban tér el, 60–75 éves életkorban mindkét nemben az átlagérték 130° (23, 25, 29). A tejfogazaton és annak fennállása idején az állcsontokon határozottabb nemi különbségek nincsenek.

A fogváltás idejében a két nem között mutatkozik ugyan eltérés (ld. az életkor-meghatározásnál), azonban még a fogváltás időszakában sem lehet az állcsontokból és a fogazat állapotából a nemet meghatározni.

A kifejezett nemi különbségek az állcsontokon a fejlődés befejezése után és a maradó fogazaton ismerhetők fel, legalább 16–18 év és a senilis involució kezdete közötti élettartam alatt. A senilis atrophia egyénenként változó életkorban indul meg és egyébként igen eltérő mértékben fokozódik, kezdete általánosságban a 60. évre tehető.

Az állcsontok és a fogazat vizsgálata alapján a nem meghatározására csak olyan ritka esetben kerül sor,

sége kisebb. Jellegzetességre vonatkozóan ismerni kell, hogy az egyes jellegek mikor utalnak határozottan férfinemre, mikor a nőkre és milyen megjelenési állapot esetén indifferensek. Az állcsontok és a fogazat vizsgálata alapján a nem meghatározására csak olyan ritka esetekben kerül sor, ha a lelet hiányos és más,

4. táblázat: Kvaal mérései életkor-meghatározáshoz. t-maximalis gyökérhossz. p. maximalis pulpa hossz. r.gyökér hossz a mesialis felszíntől.

1. táblázat: Fogak jelölése (mesialis-distalis. FDI jelölés).
2. táblázat: Igazságügyi fogászat eltűnt személyek azonosítási területei alapján.
7. ábra: Kvaal. Életkor-meghatározó mérése röntgenfelvételen.
8–9. ábra: Lamendin et. al. életkor-meghatározó gyökér transzparencia alapján.
3. táblázat: A Gustafson fogkopási index Johanson illusztrálásával.
10. ábra: Harapási nyom fotója.

biztosabb alap a véleményadáshoz nem áll rendelkezésre (25).

Csípés, harapásmarás, jelei:

A személyazonosság meghatározásában segítségre lehetnek a csípés, marás és harapás jelei: A harapási nyomok tisztázásában elsősorban a frontfogak, főleg a metszőfogak jellegzetessége fontos, mert ezek hagynak leginkább nyomot, amelyből következtetéseket lehet levonni. A szakirodalomból számos olyan eset ismert, amikor a betörő sajtba, vajas kenyérbe, almába, körtébe harapott, amelyek az azonosítást segítették (3, 4, 28). Két módszer ismert az azonosításhoz, a fotó- és mintavétel-készítés, amelyet polivinyl-silikonnal vagy fogászati lenyomatanyaggal végezhetünk (10. ábra).

A fogak mellett újabb technikákat használnak, vizsgálják az ajkakat, a ruga palatinaet is (23, 28, 31).

Személyazonosítás röntgenfelvételek alapján

Kiegészítő eszközként szolgálhatnak további röntgenfelvételek. OPT, sőt már CBCT-felvételek is.

A radiológiai módszereken alapuló képalkotó eljárásokat már egy évvel a röntgensugár széles körű elterjedésével lövési sérülések esetén ábrázolták röntgenfilmen. Az első holttesten készített CT-felvételről szóló tanulmányt is már 12 évvel a módszer kifejlesztését követően, 1983-ban publikálták (31, 32). A képalkotó módszerek érzékenységének, felbontóképességének, valamint az informatikai háttér utóbbi 10–15 évben lezajlott rohamos fejlődésének köszönhetően ezen eszközök már számos országban elterjedtek.

A radiológiai képalkotó módszerek leghangsúlyosabb előnyét a „ha gyományos” patológiai vizsgáló módszerrel (boncolás) szemben az képezte, hogy azok a noninvazív ter mészetük miatt nem jártak a holt testek szükségszerű felnyitásával, sérülésével, károsításával. Ez a szempont jelentős mértékben hozzájárulhatott a képalkotó mód szerek, különösen a postmortem CT vizsgálatok azon nyugat-európai országokban történő elterjedésé hez, ahol a hatályos jogi szabályozás eredményeként csak nagyon alacsony számban végeznek boncolásokat (pl. Németországban a haláleset csak 3-4%-ánál történik boncolás). (29).

Ma nagy segítség az arc rekonstrukciója

Alapvetően két fajtája ismert: a plasztikus és a számítógép-vezérelt arcrekonstrukció. Mindkét eljárás előtt a csontvázlelet alapos fo renzikus antropológiai vizsgálata szükséges. A koponya alakját az arc formája jelentős mértékben követi és ez lehetővé teszi a feltételezett egyénről készült fénykép (videófel vétel) és a holttest koponyájának az egymásra vetítését, összehasonlítá sát is alkalmazzák. Hazánkban elsőként Árpás Károly szobrász-antropológus készített arcrekonstrukciót, fotó és koponya alapján. Rendkívüli anatómiai isme retekkel rendelkezett. Ezt követte Kustár Ágnes arcrekonstrukciója (11–13. ábra).

DNS technológia

A halottszemle

Számtalan jogi, rendőrségi törvény ad iránymutatót az ismeretlen holttestek azonosításához.

Az elmúlt évtizedben a DNS technológia igazságügyi alkalmazhatóságának kidolgozása révén nemcsak a vizsgálható biológiai anyagmaradványok skálája bővült jelentősen,

A halottszemléhez tartozó eljárásokból említünk néhányat.

A helyszíni szemle dinamikus része. „A helyszíni halottszemle eljárásjogi cselekmény, amely nemcsak orvos

tanulmány foglalkozott a postmortem CT-vizsgálatok boncolásokkal történt összehasonlításával, amelyek közül többekben megfogalmazódott a gondolat, hogy a képalkotó módszerek előbb-utóbb ki fogják váltani a boncolásokat. Egyesek a holttestek boncolását bizonyos esetekben mára már túlhaladott módszerként kezelték. A fogak azonosítási jelentőségét bizonyítékként láthatjuk, hogy a

Sivapathasundharam B, Prakash PA, Sivakumar G. Lips prints (cheiloscopy) Indian J Dent Res. 2001:12: 234-7. (PubMed) 29. Somogyi E. Az igazságügyi orvostan alapjai 126-155. Medicina Könyvkiadó. Budapest 1986 30. Sótonyi P. A magyar törvényszéki-igazságügyi orvostan története. 52-64 Medicina Könyv Kiadó Vállalat, 2008 31. Whittaker D.K. Introduction to forensic odontology. Quintessence Int. 25: 723-30 ( PubMed). 1994

32. http://en.wikipedia.org/wiki/ Forensic Dentistry 27. 2019.

11–13. ábra: Janus Pannonius koponyarekonstrukciója. Kustár Ágnes rekonstruktőr alapján.
14. ábra: Délkelet-ázsiai 2004-es cunami pusztítása.

Indirekt pulpasapkázás

Indirekt pulpasapkázás esetén minimális invazív, szelektív szuvasodás eltávolítást végezzen, a szuvasodással érintett dentin megtartásával a pulpa fölött

Mély szuvasodás ellátása

(1) A nemzetközi fogorvosok szakértői testületéből származó eljárás (Állásfoglalás. 2023. szeptember).

(2) A kiterjedt II. osztály proximális falfelépítést igényel. (Mount GJ, Hume WR. Egy új üregosztályozás. Australian Dental Journal. 1998;43(3):153-9)

(3) Lehetséges technika a koronális restaurációval összefüggésben.

Közvetlen pulpa sapkázás (vitális fog)

Első ülés

1

2

3

4

5

6

7

8

9

A pulpa vitalitásának megállapítása

Izolálja a fogat kofferdám lepedővel

A szuvas foganyag eltávolítása

Hiányzó fal(ak) esetén helyezze fel a matricát a fogra

Csillapítsa a vérzést kompresszióval (1-6% NaOCl)

Aktiválja a Biodentine™ XP kapszulát , használja a Biodentine™ Mixert.

A Biodentine pisztolyt helyezze a kavitás aljába, és lassan fecskendezze be a Biodentine™ XP-t, miközben a pisztolyt visszahúzza (Bio-Bulk Fill) (3)

Ügyeljen a széli záródásra, minimális okkluzális formázás/nyomást gyakoroljon a megkötő Biodentine-re

Vegye ki a Biodentine-t az okklúziós érintkezésekből

Direkt pulpasapkázás (vitális fog)

A második kezelés

minimum 2 hét után és maximum 6 hónappal az 1. kezelés után.

1

2

3

4

5

Vizsgálja meg a pulpa vitalitását

A megfelelő mértékben (átlagosan 2 mm) vegyen el a Biodentine-ből

Vigyen fel adhezivet: totál etch vagy önsavazó módon a Biodentine-re és a fogra

Kompozit tömőanyaggal lássa el a fogat

A páciens visszahívása és követése az aktuális szakmai irányelveknek megfelelően

Ha a vérzés 5 percen belül nem csillapodik, további pulpaszövetet kell eltávolítani (részleges vagy teljes pulpotómia).

Ha a páciens utánkövetése nem kivitelezhető, akkor az eljárást 1 ülésben végezze el.

1

2

3

4

Hagyjon 2 mm helyet, várjon legalább 12 percet a kötés elkezdődésére

Vigyen fel önsvazó adhezívet (szelektív savazással vagy önsavazással) a Biodentine-re és a fogszövetre

Kompozit tömőanyaggal lássa el a fogat

A páciens visszahívása és követése az aktuális szakmai ajánlásoknak megfelelően

AZ ALPHA IMPLANT KFT. MÁR 15 ÉVE AZ ÖN MEGBÍZHATÓ PARTNERE

A minőség a siker garanciája

alphaimplant.hu

Turn static files into dynamic content formats.

Create a flipbook
Issuu converts static files into: digital portfolios, online yearbooks, online catalogs, digital photo albums and more. Sign up and create your flipbook.