Dental Tribune 2024/4

Page 1


The World‘s Dental Newspaper

GYAKORLÓ FOGORVOS AJÁNLJA

Orthodonciai eljárások integrálása révén a komplex és jelentős kihívással járó protetikai kezeléseket sokkal minimálinvazívabb módon, és sokkal kiszámíthatóbb esztétikai és funkcionális végeredménnyel tudjuk elvégezni.

IRÁNYVONALAK, ALKALMAZÁSOK

A digitális munkafolyamat lehetővé teszi az esztétikai eredmény nagyfokú kiszámíthatóságát, mivel a végleges restaurációkat az analóg módszerhez képest nagyobb pontossággal lehet a digitális wax-uphoz igazítani.

Advent

A Svédországból származó legfrissebb hivatalos adatok azt mutatják, hogy az állkapocsfájdalom növekedése aránytalanul nagy mértékben érinti a középkorú nőket. (Kép: voronaman/Shutterstock)

Dental Tribune International

Nemrégiben egy Svédországban végzett közegészségügyi vizsgálat érdekes és fontos jelenséget tárt fel: a temporomandibuláris rendellenességek száma az országban jelentősen növekszik. A számok azt is bizonyítják, hogy ez az állapot a lakosság egy bizonyos szegmensét aránytalanul nagy mértékben érinti. További aggodalomra ad okot, hogy a kormányzat erőfeszítése a probléma kezelésére jelenleg nem tűnik megfelelőnek. Az állkapocsfájdalom okai és következményei sokrétűek. Lehet olyan gyakori ok, mint a bruxizmus és a stressz, de eredhet más állapotokból és tényezőkből is, mint például ízületi gyulladás, trauma vagy az állkapocs helytelen elhelyezkedése. Számos tünettel jár együtt, mint például fejfájás, rágási és étkezési nehézségek, valamint állkapocskattogás. Az ilyen mértékű kellemetlen érzés az alany pszichológiai jólétére is hatással lehet, a szorongás és a depresszió is egyaránt gyakori következménye. Svédországban a társadalombiztosítási hivatal új adatai arra utalnak, hogy a temporomandibuláris rendellenességek száma az utóbbi években jelentősen megnőtt. Erre enged következtetni a Svédországban az elmúlt tíz évben gyártott aligner fogszabályozók számának nagyjából 20%-os növekedése, amely 2023-ra 53 000 darabra emel-

kedett. Dr. Lars Fredriksson, az állami egészségügyi hivatal vezető fogorvosa kifejtette a Sweden Heraldnak, hogy a temporomandibuláris rendellenesség aránytalanul nagy arányban érinti a középkorú nőket, és azt feltételezi, hogy ez a demográfiai eltérés magyarázza, miért nem veszik komolyabban a problémát. „Ez egy olyan betegség, amelynek nagyon alacsony a presztízse. Gyakori, ha olyan betegségekről van szó, amelyek elsősorban a nőket érintik, és ahol nincs műtét vagy technikai segédeszköz.”

Kifejtette az állapot kezelését övező pénzügyi egyenlőtlenségeket, mondván, hogy a svéd egészségügyi rendszer másként kezeli a temporomandibuláris rendellenességeket, mint más egészségügyi problémákat, és ez akadályként hathat az ellátáshoz való hozzáférésben. A fogászati ellátás és a szájegészségügy számos más területéhez hasonlóan Európa- és általában véve világszerte elkötelezett kormányzati válaszra van szükség annak megakadályozása érdekében, hogy ezek a betegségek egyre nagyobb számban érintsék a lakosságot, különösen azokat, akik már most is veszélyeztetettek. DT

Már ég az első adventi gyertya. Gyenge, lebbenő fénye gondolkodó, meditáló arcokat világít meg. Egy ellentmondásokkal terhelt nehéz év van kifutóban. A háborús környezet, a begyűrűző gazdasági hatások, politikai izgalmak elől kevesen tudnak elbújni. Legkevésbé a segítségre szoruló emberek, közöttük a betegek hatalmas csoportja. Akiknek róluk kell gondoskodni, maguk is bajban vannak. Az egészségügy különösen küzdelmes évet zár.

Politika

Érdekes félévben vagyunk. Magyarország az Európai Unió soros elnöke. Nem személyek, csoportok, hanem az ország. És a vezetőink az országunk képviseletében teszik a dolgukat. Ugye milyen érdekes? Miközben számos uniós trenddel és cselekvéssel vitában állunk. Miközben súlyos uniós gazdasági szankciók sújtanak. Még egy érdekesség: megalakult az unió kormánya. Az egészségügy (és állatjóléti) biztosi, azaz miniszteri posztot magyar szakember – Várhelyi Olivér tölti be. Jogász, tapasztalt diplomata, már az előző ciklusban is biztos volt, de más területen. Ha csak annyit elér,

SZÍNES HÍREK A NAGYVILÁGBÓL

A nagy nyelvi modellek (LLM), a mesterséges intelligencia (AI) egyik típusa, egyre népszerűbbek az orvosi tudományágakban, köztük a fogászati aneszteziológiában is, mivel az információgyűjtés, a betegellátás és az oktatási gyakorlatok javítására alkalmasak.

hogy a magyar egészségügy helyzetét sikerül úgy bemutatni, azaz a magyar és az uniós kormány között úgy egyensúlyozni, hogy abból a valóság kiderüljön, akkor már sokat tett a magyar egészségügyért. És persze az uniós polgárokért is, mert akármilyen vicces, mi is uniós polgárok vagyunk. És az a nagyszámú, más országokból Magyarországon dolgozó vagy tanuló ember, és a hatalmas számú unióból érkező turista mind megszenvedi a magyar egészségügy bajait és veszélyeit. Nem ezt kellene a magyar–uniós tárgyalások egyik kiemelt témájává tenni?

Jelenleg a viták középpontjában Ukrajna, és az orosz–ukrán háború állnak. Mivel a szenvedő magyar lakosság miatt többszörösen érintettek vagyunk, és mivel a fosszilis energiahordozóink Oroszországból többnyire Ukrajnán keresztül érkeznek, a helyzetünk több mint kényes, mondhatjuk veszélyesnek is. Barátaink ezt értik, de nem mindenki a barátunk, és nagyon sok politikai érdek keresztezi ezt az utat.

Békemisszió 2.0

Orbán Viktor az ellenségeskedés kitörésekor már próbálkozott. Nem beszélhetünk mérhető sikerről. Viszont közben az USA elnökévé Donald Trumpot választották, aki nagyon határozottan állítja, hogy beiktatása után rövid időn belül

békét teremt. A béke feltétlen híve Ferenc pápa is. Így hát a napokban a magyar miniszterelnök római látogatásával elindult a Békemisszió 2.0. Szurkoljunk, legyen sikere! Találják meg azt a kompromisszumot, ami befejezi a vérontást, a rombolást, hogy legalább valamelyest normálisabb politikai és gazdasági élet alakuljon Európában.

Politika itthon

Sok jót nem tudok írni róla. Az önkormányzati választáson jelentős erővel feltűnt új párt és a kormány képviselői egyre kegyetlenebb politikai harcot vívnak. Egyesek szerint ezzel elkezdődött a 2026-os választás kampánya. Ez a konfrontáció egyre durvább stílusban folyik. Erősíti azt a feltételezést, hogy a lakosság körében is egyre durvább kommunikációs stílust a pártoktól tanulják el a polgárok. Ennek különösen erős helyszíne a közösségi média, amelynek egyes elemei a tömény gyűlölködéstől normális ” 3. oldal

Orbán Viktor Ferenc Pápánál

emberek számára olvashatatlanná váltak.

Egészségügy

A szakpolitikák szintjén szerencsére még tisztább a beszéd. A fővárosi és Pest megyei új sürgősségi ügyelet október 1-i bevezetésével teljeskörűvé vált a rendszer országos megújítása. Még kevés idő telt el, hogy végleges ítéletet mondjunk, de a rengeteg jóslat ellenére kevés nagyobb baj került nyilvánosságra. Talán az itt-ott gondot okozó orvoshiány, valamint az Országos Mentőszolgálat belső szervezési problémái jelennek meg a közvélemény előtt, de egyelőre ezek helyi szinten kezelhetők voltak. A kórházi átszervezések koncepciója és tervei még nem látszanak. Inkább csak az egyre szaporodó helyi válságok és a hozzájuk tartozó tűzoltás látszik. Valami fura okból a szülészeti osztályok, szakrendelések, néhány helyen a baleseti ellátás, urológia stb. kerülnek átmenetileg bajba. A hírekbe a legtöbbet az „Észak-budai Centrumkórház–Szent János Kórház” régi pavilonépületeinek műszaki problémái és a rohamtempóban felújított Kútvölgyi-tömb egyes liftjei kerülnek. A Szent János Kórházon be lehet mutatni a magyar kórházügy összes baját, mint az ún. „állatorvosi lovon”. A 100 éves pavilonépületek már jó minőségben nem rekonstruálhatók. A pavilonrendszer alkalmatlan a sürgősségi szakterületek folyamatos, biztonságos, színvonalas és integrált üzemeltetésére. Már az elnevezése is

vicces: ez az intézmény van a legtávolabb egy modern centrumkórháztól. Sajnos, az egyetlen új tervezésű Dél-budai Centrumkórház építését leállították. Pedig eddig ez volt a nagypolitika legjobb ötlete. Centrumkórházak kisszámú hálózatával

lehetett volna megadni a modern kórházi és szakellátási reform irányát.

Egészségügyi menedzsment konferenciák szezonja

Számos szakmai és menedzsment szervezet tartott konferenciát az elmúlt hetekben. Ezeken egyfelől szóba került az egészségügy számos megoldatlan problémája, másfelől láthatóvá vált, hogy számos olyan szakemberünk van, akikkel meg lehetne valósítani az egészségügy korszerűsítését, fejlesztését, egyszóval reformját. Legalább három fő csoportba sorolhatjuk a bajokat.

A magyar közösségi egészségügy minden összehasonlításban kevesebb forráshoz jut, mint a legtöbb európai ország ágazata. A pénzhiány krónikus, és az okozott károk kimutathatók a szakmai személyzet elvándorlásán túl olyan egészségügyi mutatókban is, mint az elkerülhető halálozás.

A betegellátás szervezése súlyos hiányosságokat mutat. A várólisták jelentősek, a kapacitások kihasználása nem optimális, miközben az aktív ágyak átlagosan 50%-a kihasználatlan.

A népegészségügyi mutatóink kifejezetten rosszak, a fejlett országok statisztikai átlagainak az utolsó

Kanadai egyetem a

harmadában kullogunk. Orosz Éva professzor asszony cikke a Lege Artis Medicinae utóbbi két számában tudományos részletességgel mutatja be mindazokat az adatokat, amelyek a hűvös számokon át mutatják, jelzik, hogy komoly baj van a magyarok egészségével, és komplex, hosszú távú segítségre van szükség. A legtöbb figyelem a finanszírozás elégtelenségei felé fordul, mert a többi megoldatlan kérdés mindegyikének van pénzügyi vonatkozása.

Ebben az évben folyamatosan keletkezik, sőt tendenciájában növekedést mutat az intézmények lejárt szállítói tartozása, azaz az adósságállománya. A Magyar Államkincstár ezt az adatot rendszeresen közli. Most éppen, vagyis az év végére 140 milliárd forint körül jár. A legutóbbi Közlönyben megjelent, hogy a kormány 39,5 milliárdot ítélt meg konszolidációra. Ez kevés lesz! Annál is inkább kiáltó az ellentmondás, mert pár hete Takács Péter államtitkár bejelentette, hogy a jövő évtől havi 12 milliárd forinttal megemelik az intézményi finanszírozás keretét, hogy ne keletkezzen újabb adósság. Ha az idei adósságállományból kb. 100 milliárd forint átkerül a jövő évre, akkor az egész évre tervezett 150 milliárdos növekmény 2/3-a „elfüstöl”, anélkül, hogy az eredeti célt, a jobban finanszírozott betegellátást elérné.

Kiss Zsolt NEAK főigazgató elmondta, hogy az idén a műtéti várólisták csökkentésére szánt külön keret 40%-a megmaradt. Ennek legfőbb okai között a HBCS rendszer elavulása áll. Egyes beavatkozások már nem fedezik a tárgyi-személyi ráfordításokat, tehát adósságot „ter-

melnek”. A menedzsment kénytelen korlátozni ezeket a beavatkozásokat. Ha már a kiegészítő támogatás sem elég, akkor más eszközökre is szükség van a finanszírozás rendbetételére.

Pintér Sándor miniszter színre lép

A konferenciaévad csendes szenzációja volt, hogy a Medicina Fórum, a Magyar Kórházszövetség és a Magyar Egészségügyi Menedzsment Társaság közös rendezvényén megjelent az egészségügyért is felelős Pintér Sándor belügyminiszter. Két és fél éve felügyeli az ágazatot. Saját elmon -

dása szerint ennyi idő kellett, hogy megszerezze azokat az ismereteket, amelyekkel a szakmai nyilvánosság elé léphet. Nyitó előadása 30 perc helyett 1 óra 10 percen át tartott. Valóban, látható volt az elmélyültsége. Számomra egy mondat emelkedett ki a jól dokumentált expozé szövegéből. Ezt arra a kérdésre válaszolva mondta, miért vállalta el ezt a nehéz és bonyolult ágazat irányítását. Idézem szó szerint: „Felkérést kaptam a kormánytól, hogy csináljam meg Európa legjobb egészségügyi ellátó rendszerét.” Ilyen mondatot pályám

fenntarthatóság holisztikus megközelítésének bajnoka

Dental Tribune International

Miközben a világ egyre inkább megbirkózik az ipari kapitalista társadalmak által a környezetre gyakorolt óriási nehézségeivel, a fogászati ipar is kénytelen számot vetni saját ökológiai hatásaival. Míg egyes erőfeszítések a környezetre káros anyagok, például az amalgám fokozatos kivonására összpontosítottak, a kanadai McGill Egyetem új tanulmányai egy átfogó megközelítés mellett érvelnek. Az intézmény a fenntartható fogászat élvonalába pozicionálja magát, és célja, hogy átformálja a fogászati ellátás környezeti hatásainak csökkentését.

Dr. Christophe Bedos, a McGill Fogorvostudományi és Szájegészségügyi Karának docense vezetésével a kezdeményezés célja, hogy kiszámítsa és minimalizálja a fogorvosi praxissal kapcsolatos összes szén-dioxid-kibocsátást – a latexkesztyűk gyártásától a betegek ingázásáig. „Szeretnék globális gondolkodásra késztetni” – mondta dr. Bedos az egyetem sajtóközlemé -

A kutatás célja, hogy a fogászati világot öszszehangolja a szélesebb körű fenntarthatósági kezdeményezésekkel világszerte. (Kép: Julia Lav/Shutterstock)

nyében. „Be kell vonnunk szélesebb fogászati közösségeket, hogy olyan kézzelfogható célokat tűzzünk ki, amelyek valódi, fenntartható változást eredményeznek.”

Elismerve, hogy még a rutinszerű fogorvosi látogatások is hozzájárulnak a szén-dioxid-kibocsátáshoz, dr. Bedos csoportja a fogászati ellátás különböző aspektusait vizsgálta meg, hogy azonosítsa a legnagyobb szennyezőket. Meglepő módon a szállítás bizonyult a fő tényezőnek, a páciensek klinikára és visszaútja a kibocsátások közel egyharmadát teszi ki. „Minden, amit teszünk, kibocsátáshoz vezet” – hangsúlyozta dr. Bedos. „Képzelje el, hogy eltávolítottak egy fogat; miért nem követi

nyomon a Zoom segítségével, ahelyett, hogy visszajönne a klinikára?” – kérdezte.

Az újragondolt betegélmény mellett a projekt megvizsgálja az áramfelhasználást, a vízfogyasztást, az egyszer használatos műanyagokat és más, a környezetre ható tényezőket. A Synergie Santé Environnement, egy québeci székhelyű nonprofit szervezet segítségével és a McGill Fenntarthatósági Projektek Alapjának finanszírozásával a csapat célja, hogy átfogó szén-dioxid-felmérést készítsen, amelyből a kar számára a jövőbeni szakpolitikai ajánlásokat lehet megfogalmazni. A lehetséges változtatások közé tartozhat a virtuális kinevezések, a jobb anyagbeszerzés és a műanyaghulladék csökkentése.

Dr. Bedos október 25-én egy mesterkurzuson osztotta meg a kezdeményezés tanulságait, és szorgalmazta, hogy a fogászat rendszerszintű változtatásokat hajtson végre az éghajlati kihívások kezelésében. A fogászat fenntarthatóbbá tételének ötle -

több mint 50 éve alatt még senkitől nem hallottam. A mai súlyos helyzetben ez különösen cseng. De ha elkezdünk rajta gondolkodni, akkor hihető, hogy egy régebb óta regnáló politikai erő belátja, hogy ezen a különös területen rengeteg tennivalója van. Annál is inkább, mert régi tapasztalat, hogy egészségügyi programmal nem lehet választást nyerni. Rosszul működő egészségüggyel, amivel a polgárok elégedetlenek, választást veszíteni annál inkább lehet. Mivel a statisztika szerint napjainkban minden magyar évente tízszer fordul meg az egészségügy valamelyik szintjén, a problémákat hatalmas választói tömeg érzékelheti. A magyar egészségügy mindannyiunk érdekében komoly fejlesztést és nemzeti prioritást követel. És itt találkozik az emberek érdeke a tömegpolitika érdekeivel. Ez az érdek tudja feloldani azt az ellentmondást, ami a magyar emberek szükségletei és a kormánypártok eddigi politikája között feszült. Ezt fejezte ki Pintér Sándor mondata.

Ádvent csendjében, karácsonyra várva gondolkodjunk el ezen!

IMPRESSZUM NEMZETKÖZI SZÉKHELY

FELELŐS KIADÓ ÉS VEZÉRIGAZGATÓ: Torsten Oemus

TARTALOMÉRT FELELŐS IGAZGATÓ: Claudia Duschek

Dental Tribune International GmbH

Holbeinstr. 29, 04229 Leipzig, Germany Tel.: +49 341 4847 4302 Fax: +49 341 4847 4173

Általános információ: info@dental-tribune.com

Hirdetésfelvétel: mediasales@dental-tribune.com www.dental-tribune.com

te három évvel ezelőtt merült fel benne, miután felismerte, hogy sürgősen szükség van az éghajlatváltozás elleni fellépésre. Mérlegelte a területre vonatkozó kutatások hiányát, és elkezdett azon gondolkodni, hogyan tudná összekapcsolni a fogászatban a társadalmi egyenlőtlenségekkel kapcsolatos munkáját az éghajlati válsággal.

A McGillben betöltött szerepe mellett dr. Bedos társigazgatója a québeci székhelyű száj- és csontegészségügyet kutató hálózatnak, ahol a fogászati ellátás szén-dioxid-mentesítését helyezte előtérbe. Célja a McGill klinikáin túlmutatva a fogászati ágazat fenntarthatóságát támogató politikai változások ösztönzése.

„A kormányoknak és az iparágaknak fel kell lépniük” – sürgette dr. Bedos, megjegyezve Kanada elkötelezettségét a 2050-ig történő nettó nulla kibocsátás mellett. Kifejtette: „Nem csak az azonnali megoldásokról van szó; el kell gondolkodnunk azon, hogy milyen világot akarunk magunk után hagyni”. DT

A Dental Tribune International GmbH azon anyaga, amelyet újra nyomtattak vagy lefordítottak és újból kinyomtattak ebben a kiadásban a Dental Tribune International GmbH szerzői jogi védelme alatt áll. Az ilyen anyagokat a Dental Tribune International GmbH engedélyével lehet csak közzétenni. A Dental Tribune a Dental Tribune International GmbH védjegye. Minden jog fenntartva. © 2024 Dental Tribune International GmbH. A Dental Tribune International GmbH előzetes írásbeli engedélye nélkül bármilyen módon, egészben vagy részben történő sokszorosítása kifejezetten tilos.

A Dental Tribune International mindent megtesz annak érdekében, hogy a klinikai információkat és a gyártók termékeiről szóló híreket pontosan adja közre, nem vállal azonban felelősséget a termékekről szóló állítások helytállóságáért vagy a nyomdahibákért. A kiadó nem vállal továbbá felelősséget sem a terméknevekért vagy -leírásokért, sem a hirdetők közleményeiért. A szerzők által kifejtett véleményt a sajátjuknak kell tekinteni, és azok semmi módon nem tükrözik a Dental Tribune International véleményét.

KIADJA: DP HUNGARY KFT. 1012 Budapest, Kuny Domokos u. 9.

FELELŐS KIADÓ: Laczkó Tamás

FORDÍTÓ: Laczkó Leonard

NYOMDAI ELŐKÉSZÍTÉS: DP Hungary Kft.

NYOMDAI KIVITELEZÉS: Pharma Press Nyomdaipari Kft.

ADATEGYEZTETÉS, INFORMÁCIÓ: Bárdos Veronika, 06-30-472-0030

HIRDETÉSFELVÉTEL: Laczkó Tamás, 06-30-472-0030

Pintér miniszter a Medicina Fórumon

Abradált frontfogakkal rendelkező felnőtt

páciens interdiszciplináris

Bevezetés

Nagy hatással van a döntéseinkre az a folyamatos információözön, amely jelenleg körülvesz bennünket. A fogászati technológiák és eljárások fejlődése, új anyagok megjelenése, evidenciaalapú protokollok elérhetővé válása mind befolyásolja a gondolkodásunkat, azonban a legnagyobb előnyre akkor tehetünk szert, ha más szakterületek specialistáinak meglátásait is bevonjuk a döntéshozatali procedúránkba. Egy 2010-ben megjelent tanulmány szerint (Massachusetts Institute of Technology [MIT] és Union College) az egy csoportban lévő személyek egyéni kognitív képességeit a csoport kollektív intelligenciája mindig meghaladja [1]. Ez az elv a fogorvostudomány területén is megállja a helyét. A komplex problémákat a vonatkozó területek specialistáinak bevonásával általában sikeresen meg lehet oldani. A közös gondolkodás hozzájárulhat kisebb invazivitású és jobban megjósolható kimenetellel járó kezelési tervek felállításához.

A kollaborációban kezelt esetek ellátása során a megfelelő funkcionális és esztétikai végeredmény elérése érdekében elengedhetetlen az ellátásban részt vevők (fogorvosok, fogtechnikusok, páciensek) közti egyértelmű kommunikáció, valamint a kezelési célok, kompetenciák és feladatok pontos meghatározása.

Az alábbiakban bemutatásra kerülő esetismertetés során egy abradált frontfogazattal rendelkező felnőtt páciens kombinált orthodonciai és protetikai ellátásának lépéseit fogjuk áttekinteni.

A mindennapi gyakorlatban hozzá vagyunk szokva ahhoz, hogy felnőtt páciensek különböző funkcionális és esztétikai, valamint az ehhez kapcsolódó egyéb problémák megoldását kérik tőlünk. Ezek ellátását célirányosan, a kezelési célok teljesítésére fókuszálva végezzük. Az esetbemutatás során egy abradált frontfogazattal és az alsó első nagyőrlők pozíciójában implantátumokkal rendelkező felnőtt páciens kombinált orthodonciai és protetikai ellátását fogjuk ismertetni.

Esetismertetés

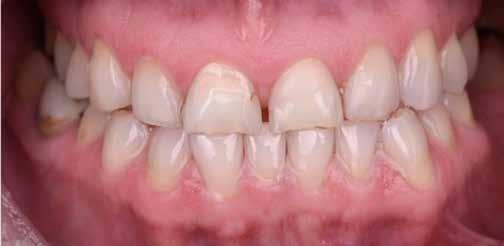
A 38 éves hölgypáciens az abradálódott alsó és felső metszőfogai és az ezen a területen jelentkező hideg- és melegérzékenység ellátása céljából jelentkezett a rendelőnkben. Az általános anamnézisében nem szerepelt semmilyen a fogorvosi ellátást befolyásoló tényező. A fogászati anamnézisében éjszakai bruxizmus (a férje elmondása szerint esténként hallható, hogy a hölgy alvás közben csikorgatja a fogait), ébredéskor a masseterek területén fennálló izomfájdalom, valamint napközbeni fogcsikorgatás szerepelt. Szénsavas

üdítőitalokat napi rendszerességgel fogyaszt. Pszichoszociális analízis során stressz és szorongás jeleit mutatta. Palpáció során az állkapocsízületek megtapintásakor közepes erősségű fájdalmat jelzett. Szájzáráskor mindkét ízületnél kattanó hangot lehetett hallani, azonban ez nem járt funkcionális korlátozottsággal, valamint az ízületi elmozdulások során és az ízület terhelésekor sem jelentkezett fájdalom.

Az anamnesztikus adatok áttekintése és a klinikai vizsgálat során tapasztaltak összegzését követően megállapítottuk, hogy a hölgy vélelmezhetően konstans (nappali és éjszakai) bruxizmustól szenved [2].

A klinikai vizsgálat során mindkét fogívben kifejezett mértékű abrázió jeleit észleltük a metszőfogaknak megfelelően. A fogak kopása már a dentint is érintette. A bal oldalon

kezelése

Angle Class II. állcsontrelációs helyzet állt fenn. A páciensnél 1,5 mm-es overbite-ot mértünk, valamint az alsó első nagyőrlőfogak implantátumokon rögzülő lithium-diszilikát koronákkal lettek pótolva. Az implantátumok két évvel ezelőtt kerültek behelyezésre (1. a–f ábra).

A páciens vékony gingivális biotípussal rendelkezett és néhány helyen ínyrecessziót lehetett megfigyelni. A jobb felső első, valamint a bal felső második nagyőrlő disztális felszínének megfelelően 4 mm-es tasakmélységet mértünk. A bal oldali implantátumon rögzülő korona disztális felszínénél 7 mm-es, a jobb oldali implantátumon rögzülő korona disztális felszínénél pedig 5 mm-es tasakot észleltünk, amelyek szondázást követően véreztek. Ennek ismeretében a pácienst parodontológushoz irányítottuk az iniciális terápia megkezdésére, valamint további szakellátásra.

Mivel a fogak csikorgatása önmagában nem okozna ilyen kifejezett kopási fazettákat a frontfogakon, ezért az abrázió hátterében több etiológiai tényező együttes jelenlétét vélelmeztük [3].

Feltételezéseink szerint a mechanikai eredetű fogkopás (attríció) súlyosságát kémiai behatások (erózió) fokozták. Ennek megfelelően a pácienst felszólítottuk a szénsavas italok fogyasztásának felfüggesztésére, valamint vizuális segédeszközök (színes matricák, amelyeket 8 héten át hetente cserélt) igénybevételével próbáltuk a figyel-

mét folyamatosan felhívni arra, hogy próbáljon tudatosan odafigyelni a napközbeni parafunkciók megszüntetésére (csikorgatás, szorítás). Éjszakára pedig egy Michigan-sín viselését írtuk elő számára (2. ábra). Ez a sín a fogak mechanikai védelmére szolgált az éjszakai fogcsikorgatás során. A 8 hetes parafunkciókról való leszoktatást elősegítő viselkedésterápia befejezését követően az állkapocsízületek tapintásakor jelentkező fájdalom több mint felére csökkent. (A fájdalom egy 1–10-ig terjedő skálán mérve a kezdeti 5-ös értékről 2-re változott.) A páciens ekkor azt kérte, hogy kezdjük meg a kopott metsző- és szemfogainak a helyreállítását. Ennek megfelelően teljes esztétikai és funkcionális analízist végeztünk. A vizsgálat során az alábbi megállapításokat tettük: kismértékű arcaszimmetria, a középső és alsó archarmad aránya megfelelő, az alsó állcsont megfelelő pozícióban található, előreugró állcsúcs, normál lefutású mosolyvonal, kiegyenesedett incizális ív, aszimmetrikus ínylefutás, balra dőlő felső rágósík (a bal felső nagyőrlők ki vannak emelkedve), nem megfelelő fogazati arányok, a felső középvonal 0,5 mm-es jobbra tolódása (3. a–4. f ábra). Az okklúzió elemzése során megállapítottuk, hogy záróharapási helyzetben csupán a jobb oldali bölcsességfogak között találunk fogérintkezéseket (18–48). A többi rágófog, valamint a frontfogak között nem volt érintkezés, tehát a páciens nyitott harapással rendelkezett. Mindkét oldalon Angle Class II. állcsontrelációs helyzetet észleltünk, valamint szájzáráskor az alsó állcsont előrefelé csúszott és így érte el a maximális interkuszpidációs helyzetet (5. a–c ábra).

Mivel ezt a harapási helyzetet nem lehetett volna kizárólag protetikai módszerekkel megoldani, ezért a pácienst fogszabályzó szakorvoshoz irányítottuk. A beteg alapvetően elégedett volt az arcának megjelenésével, és nem zavarta a jelenleg fennálló arcaszimmetria. Ennek megfelelően az orthognáth sebészeti beavatkozások végzését elutasította és kizárólag orthodonciai és protetikai módszerekkel kívánta a fogazati állapotának rendezését elérni.

Az orthodonciai vizsgálatot követően a fogszabályzó kezelést végző, valamint protetikai ellátást biztosító fogorvos között zajló esetmegbeszélés során az alábbi kezelési célok kerültek meghatározásra: ínykontúrok rendezése a felső frontfogak területének megfelelően, a rágósíkból kiemelkedett bal felső nagyőrlők intrúziója, az Angle Class II állcsontrelációs helyzet megszüntetése és az overjet mértékének csökkentése, az alsó rágósík nivellálása, az alsó második nagyőrlők felegyenesítése, a jobb oldali bölcsességfogak közti korai érintkezés megszüntetése, két oldalon kiegyensúlyozott okklúzió kialakítása. Bizonyos esetekben a bölcsességfogak eltávolítását, vagy az őrlőfogak intrúzióját követően megszűnnek a rágózóna disztális részén megfigyelhető korai érintkezések. Ennek köszönhetően az alsó állcsont autorotációja révén az állcsontok Angle Class I helyzetbe kerülhetnek. A fentiek ismeretében az orthodonciai fókusz egyértelművé

vált: az állcsontok egymáshoz viszonyított vertikális pozíciójának optimalizálása. Ugyanezen gondolatmenetet követve a beartikulált mintákról eltávolítottuk a bölcsességfogakat és a második alsó nagyőrlőket (amiket terv szerint a páciens szájában lévő implantátumokon elhorgonyzott koronákat felhasználva a szükséges mértékig intrudálni fogunk). Ezt követően megnéztük, hogy ezek a módosítások milyen változásokat indukálnának a saggitális síkban megfigyelhető intermaxilláris viszonyban (6. a–c ábra). Sajnos ezen artikulátorban történő szimuláció alapján pusztán a bölcsességfogak eltávolításával és a második alsó nagyőrlők intrúziójával nem érnénk el megfelelő eredményt, és további saggitális síkban történő orthodonciai korrekcióra is szükség lesz. Az orthodonciai beavatkozások során a legjobb elhorgonyzást a szkeletális horgonylatok biztosítják. Az alsó állcsonton az implantátumokon rögzülő koronákat terveztük a második nagyőrlők hirdetés

intrudálásához és felegyenesítéséhez felhasználni. A felső állcsontban pedig miniimplantátumokat akartunk behelyezni a felső első molárisok intrúziójához. A miniimplantátumok ezenkívül a felső fogív Angle Class I helyzetbe történő disztalizálása során is szerepet kapnak [4-5].

A kezelési terv meghatározását követően háromdimenziós vizualizációt készítettünk a fogszabályzás befejezését követően elérni kívánt állapotról (7. a–c ábra). Ezt a protetikusnak és a páciensnek is bemutattuk. A páciens így saját szemével láthatta és jobban megérthette, hogy miért van szüksége a tervezett kezelésekre, hogyan zajlik majd a folyamat, és a kezelés végén milyen protetikai helyreállításra van szükség. Ez egy nagyon fontos lépés az interdiszciplináris kezelések során, mivel a páciensnek meg kellett értenie, hogy a kívánt esztétikai és funkcionális eredmény elérése érdekében feltétlenül szükség van a teljes (orthodonciai és protetikai) kezelés elvégzésére. A páciens elfogadta az általunk felállított kezelési tervet. Ennek megfelelően a bölcsességfogak eltávolítását követően elindítottuk a fogszabályzó kezelést. Az orthodonciai terápia részeként összesen 4 darab miniimplantátumot (MCTBIO) helyeztünk be a felső állcsontba. Kettőt bukkális irányból az első és második nagyőrlő gyökerei közé, kettőt pedig palatinálisan a második kisőrlő és az első nagyőrlő gyökerei közé. Először a felső első nagyőrlők intrudálására, majd a felső fogív disztalizálására használtuk őket. A felső fogív disztalizálásától a Class II állcsontrelációs helyzet megváltoztatását és az overjet csökkenését vártuk (8. a–f ábra). Az orthodonciai kezelés befejezése előtt ismét esetmegbeszélést tartottunk a protetikussal. Bemutattuk az eddig elért eredményeket, és meggyőződtünk róla, hogy ezek megfelelőek számára. Ennek a lépésnek az volt a célja, hogy az utólagos korrekciók szükségességének esélyét csökkentsük és az elérni kívánt végeredményt még nagyobb eséllyel tudjuk biztosítani.

Az orthodonciai fázis lezárásaként a fogpozíciókat drót retenciós ív felhelyezésével rögzítettük. Ezt követően megkezdtük a páciens protetikai ellátását.

A protetikai fázis első lépéseként új koronákat készítettünk az alsó első molárisok pozíciójában lévő implantátumokra. Ennek a lépésnek az volt a célja, hogy helyreállítsuk a szomszédos fogakkal való approximális és az antagonista ívben lévő fogakkal lévő okkluzális kontaktpontokat. Ezután újra elvégeztük a páciens fogazatának funkcionális és esztétikai célú analízisét (9. a–10. f ábra). Ennek részeként az alsó és felső frontfogait gipszmintán viasszal idealizált formában kiépítettük (fogazati arányok, fogérintkezések, funkcionális elmozdulások) (11. a–f). Az elkészült wax-up alapján szájüregi mock-up készült. Ez esztétikai és funkcionális szempontból is kielégítő volt, nem volt szükség semmilyen módosítás elvégzésére (12. a–13. f ábra).

Az ideiglenes felépítés (mock-up) kiértékelése során megállapítottuk, hogy az alsó frontfogak csak minimális mértékű kiegészítést igényelnek, ezért ezt kompozit tömőanyagból terveztük el-

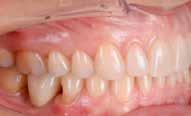
készíteni. A felső frontfogak esetében azonban magas esztétikai követelményeknek kellett megfelelni, ezért ezek ellátása földpát kerámia restaurátumokkal történt. Mivel a páciens nem igényelte a fogszínének megváltoztatását, ezért a fogait elég volt minimálinvazív módon előkészíteni. Így csak a restaurátumok elkészítéséhez szükséges minimális anyagvastagságot és a behelyezéshez szükséges teret kellett biztosítani (14. a–c ábra). A preparálással egy ülésben történt a fogszín-meghatározás, és a hagyományos technikával történő lenyomatvétel (15. a–c ábra). A kész fogpótlások egy hét múlva érkeztek meg a fogtechnikai laboratóriumból. Először bepróbáltuk őket, és mivel a próba során mindent megfelelőnek találtunk, megkezdtük az adhezív módszerekkel történő beragasztásukat (16. a –17. f ábra). Az alsó frontfogak kompozit tömőanyaggal történő direkt felépítését a felső pótlások átadásával egy ülésben végeztük el. Az egy héttel később végzett kontrollvizsgálat során megállapítottuk, hogy az elkészült pótlások harmonikusan illeszkednek a páciens szájüregébe és esztétikai, funkcionális, valamint biológiai szempontból is megfelelően integrálódtak a környezetükbe (18. a –19. f ábra). A hároméves kontrollon megállapítottuk, hogy a kezelés során elért eredmények mindvégig stabilnak bizonyultak. Az elkészült pótlások továbbra is megfelelő esztétikai megjelenéssel és funkcionalitással rendelkeztek (20. a–f ábra).

Összefoglalás

Orthodonciai eljárások integrálása révén a komplex és jelentős kihívással járó protetikai kezeléseket sokkal minimálinvazívabb módon, és sokkal kiszámíthatóbb esztétikai és funkcionális végeredménnyel tudjuk elvégezni. Ezekben az esetekben a siker záloga leginkább a kezelésbe bevont szakellátók, valamint a páciensek közti megfelelő kommunikáció, illetve az esetek kellő alapossággal végzett komprehenzív szemléletű kiértékelésében rejlik.

Ez a cikk a Cosmetic Dentistry –Beauty & Science 12. kötet, 2023/1 számában jelent meg.

A hivatkozott irodalomjegyzék megtekintéséhez, kérjük szkennelje be a QR-kódot!

2006-ban szerzett diplomát a kolozsvári Iuliu Hațieganu Orvosi és Gyógyszerészeti Egyetemen Romániában, majd 2010-ben Kolozsváron és a franciaországi Bordeaux-ban végzett fogszabályozó mesterképzést. Azóta kizárólag fogszabályozással foglalkozik a romániai Kolozsváron és Zilahon. 2015-ben csatlakozott a romániai Learning by Doing multidiszciplináris oktatási platformhoz, amely a szilárd szakmai és etikai elvek mellett száll síkra a fogászatban. Magánpraxisa mellett szívesen osztja meg tapasztalatait és szorgalmazza az interdiszciplinaritás integrálását a komplex kezeléstervezés protokolljaiba. Országos és nemzetközi szinten tart előadásokat a csontvázhorgonyzásról és a felnőtt betegek interdiszciplináris kezeléséről, hangsúlyozva a fogszabályozás, a parodontális és a restauratív kezelés megfelelő egymásutániságának fontosságát. Aktív tagja a Fogszabályozó Világszövetségnek, az Amerikai Fogszabályozók Egyesületének és az Európai Fogszabályozó Társaságnak.

2005-ben szerzett diplomát a kolozsvári Iuliu Hațieganu Orvosi és Gyógyszerészeti Egyetemen Romániában. Azóta a romániai Zilahban dolgozik, ahol interdiszciplináris klinikát és csapatot hozott létre. Jelenleg a fogászati és implantációs protetikával foglalkozik. Számos előadást tart Romániában és külföldön a fogászati esztétika és az implantátumprotézis témakörében. Tagja a Learning by Doing nevű romániai oktatási platformnak, amely a különböző szakterületek fiatal fogorvosainak oktatását célozza. Dr. Branzan klinikai vonatkozású cikkeket publikált számos romániai, olaszországi, japán, kínai, németországi, kanadai és lengyelországi folyóiratban. Több fejezettel járult hozzá az Incursiune în Estetica Dentară (Society of Esthetic Dentistry in Romania, 2013; angolul Comprehensive Esthetic Dentistry címmel elérhető, Quintessence Publishing, 2015) című kötethez. 2017-ben elnyerte az Olasz Protetikai Fogászati Akadémia, az Amerikai Protetikai Fogászati Társaság, a Journal of Prosthetic Dentistry és a Zerodonto blog által odaítélt Kiválóság a Protetikai Fogászatban díjat.

Dr. Ionut Branzan
Dr. Elia Diana Boangar

RENDEZVÉNY

4. Urban Regeneration Symposium

Bernáth Levente

Az Urbán Szimpózium növekvő globális népszerűségének köszönhetően, minden eddiginél több ország jelent meg a 4. konferenciánkon, több mint 45 ország képviseltette magát. A szimpózium regionális jelentőségéből adódóan, Közép-Európa egyik meghatározó eseményévé vált csont- és lágyszövet-regenerációs területen. Köszönjük Magyar kollégáink bizalmát, hogy 4. alkalommal is hazánkból volt jelen a legtöbb résztvevő, és hogy hozzájárultak az

esemény sikeréhez. Idén is erre vagyunk a legbüszkébbek a szimpózium kapcsán.

A szimpózium 2024-ben visszatért a csodálatos Pesti Vigadó épületébe, immáron 3. alkalommal. Az önmagában is jelentős tudományos tartalommal bíró esemény színvonalát még reprezentatívabbá varázsolja a Vigadó építészeti szépsége. Az elmúlt évek technikai fejlődésének hála, eddig nem látott minőségű LED-falas képi megjelenítés biztosította az előadások és dokumentációk, maradéktalan és színhű vizuális prezentálását.

Újdonságként szerepelt Urbán Professzor által végrehajtott műtét élő közvetítése, amit a 2. kerületi klinikánkon, az Urban Regeneration Institute előadótermében volt megtekinthető. Hasonló, magas színvonalú élő demonstrációkra egyedül a folyamatos év közbeni kurzusainkon van lehetőség, így nagy hozzáadott értéket képviselt a részt vevő vendégek számára ez az egyedi lehetőség. Az idei 8 előadónk közül 7 orvos is kínált gyakorlati foglalkozásokat a vendégeknek. A színes és változatos kurzuspalettának köszönhetően a teljes szimpózium résztvevőinek

több mint a fele részt vett legalább egy workshop foglalkozáson. A workshopok időrendi elrendezése lehetővé tette, hogy az egymáshoz kapcsolódó tematikájú foglalkozások kombinálható formában is elvégezhetőek legyenek a leglelkesebb résztvevők számára.

A szimpózium egyik fénypontja, mely idén is közönségkedvenc volt, a 2. nap záróelőadása utáni közös diszkusszió. Az Urbán Szimpóziumon mar rendhagyónak mondható momentum, hogy nem csak a moderátor, hanem az összes előadó közösen tárgyalja meg a közönség-

ben felmerülő kérdéseket. Különlegességnek mondható, hogy ennyi tudományos szaktekintély egyszerre szerepeljen egy színpadon, ahol együtt vitathatják meg a saját szemléleteiket, és reflektálhatnak a többiek nézőpontjaira. Az ily formában megszervezett beszélgetés mindig jó hangulatban zajlik, mely a közönség számára nem csupán további értékes információkkal szolgál, de azt még egy szórakoztató formában is kínálja.

Várunk mindenkit szeretettel az 5. szimpóziumunkon, 2026 októberében, ismét a Vigadóban!

és

fehér szín …

mindez 1 fecskendőben!

3 viszkozitás –végtelenül sok lehetőség

Az OMNICHROMA családban a szabadalmaztatott Smart Chromatic Technology a strukturális színeknek köszönhetően fokozatmentes színilleszkedést biztosít A1-től D4-ig. Emellett 3 különböző viszkozitás áll rendelkezésre minden preferenciához és felhasználási területhez. Így az OMNICHROMA család minimális anyagfelhasználás mellett minden elképzelhető lehetőséget biztosít a felhasználó számára.

OMNICHROMA –nincs szükség ennél többre a modern helyreállító kezeléshez.

Ha többet szeretne megtudni:

mesterséges színpigmentek nélkül „automatikusan” illeszkedik a fogszínhez

Bis-GMA-mentes készítmény a jobb biokompatibilitás érdekében

fenntartható készletgazdálkodás csak 1 színt kell rendelni és nincsenek lejárt különleges színek

A CAD/CAM munkafolyamat kiszámíthatósága a mai esztétikai esetekben

Bár a CAD/CAM-technológia nem új a szakmánkban, széles körű használata egyre inkább a normává, mintsem a kivétellé válik a fogászati szakemberek körében. A teljesen digitális munkafolyamatok bevezetése a fogorvosi rendelőben azonban nagy kihívást jelenthet azok számára, akik még nem ismerik ezt a módszert. Mint minden tanulási tapasztalat, a régi módszerek elhagyása és az újak beépítése is erőfeszítést és kitartást igényel, nemcsak a fogorvos, hanem az egész fogorvosi csapat részéről is.

Ha az új módszerek bevezetése és a szükséges tanulás megtörtént, a digitális fogorvosi rendelő előnyeit teljes mértékben ki lehet élvezni.

Nemcsak a páciensek élménye javul, hanem az ellátás általános színvonala is emelkedik, mivel a végeredmény kiszámíthatóbbá és a restaurációk pontosabbá válnak. Ez a cikk bemutatja, hogy a digitális munkafolyamat hogyan használható egy olyan eset kiszámítható helyreállítására, ahol a mosoly esztétikája és funkciója a kopás és a fogvesztés miatt sérült.

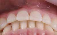
A beteg bemutatása

Egy 45 éves női páciens azzal a fő panasszal jelentkezett klinikámon, hogy apró, elszíneződött fogai vannak, és nem tetszik neki a mosolya esztétikája. Bár kórtörténetében nem volt jelentős lelet, beszámolt

arról, hogy korábban szokása volt citromot szopogatni, ami részben magyarázatot adhatott a klinikai vizsgálat során a felső íven észlelt zománckopásra. A nőnél mindkét íven kopott metszőfogakkal és enyhe alsó állkapocs elülső fogazati zsúfoltsággal jellemezhető volt (1. a és b ábra). Jó szájhigiéniával és

egészséges parodontális szövetekkel rendelkezett. Arcát tekintve átlagos ajakhos zszúsággal és nyugalmi állapotban nem megfelelő inkizális megjelenítéssel rendelkezett. Mosolyának vizsgálata átlagos mosolymagasságot, lapos mosolygörbét és hiányos bukkális folyosókat mutatott.

Mosolytervezés és kezeléstervezés

A fogászati fényképezés és a hozzá kapcsolódó digitális mosolytervezés kulcsfontosságú eszköz minden esztétikai eset kezelési tervezési folyamatában. A páciens ideális fogméretének, alakjának és arányainak meghatározásához egy böngészőalapú mosolytervezési programot (Smilecloud Biometrics) használtunk (2. ábra) Érdekesség, hogy ez a szoftver mesterséges intelligenciát használ a mosolytervezés összekapcsolására a természetes fogmorfológiák keresőmotorjával, az úgynevezett biometrikus könyvtárral. Ez lehetővé teszi a fogorvos és a páciens számára, hogy ne egy, hanem több lehetséges esztétikai eredményt

1. a ábra: Intraorális nézet a fogak maximális intercuspatiójával.
2. ábra: Digitális mosoly a Smilecloud biometrikus rendszer segítségével.
4. ábra: A digitális wax-up és a szilikonmátrix 3D-nyomtatott modelljei.
1. b ábra: Intraorális nézet a fogak szétválasztásával.

vizualizáljon. A program a kiválasztott fogformák STL-fájljait is biztosítja a felhasználó számára a további használathoz.

Miután a páciens jóváhagyta a mosolytervezési szimulációt, az STL fájlokat importálták a fogászati CAD szoftverbe (exocad), ahol egyesítették őket a páciens intraorális szkennelésével (iTero Element 2”, Align Technology), hogy 3D digitális wax-upot készítsenek (3. ábra).

Valamelyest hasonlóan a hagyományos wax-uphoz egy öntött modell felett, a digitális változatban a fogformák a páciens természetes fogaihoz, ínyéhez és okklúziójához iga-

zodnak. Az itt bemutatott esetben szükségesnek tartották a vertikális dimenzió megnyitását, hogy helyet biztosítsanak az okkluzális felületek rekonstrukciójához.

A digitális wax-up elkészülte után a modelleket sztereolitográfiás 3D nyomtatóval (Form 2, Formlabs) nyomtatták ki. Ezek a nyomtatott modellek a mosolytervezési szoftverben elvégzett kezdeti mosolytervezés fizikai másolatai, és felhasználhatók a hagyományos gittmátrix elkészítéséhez. A 3D-nyomtatott modellről polyvinilsziloxán lenyomatot készítettünk (4. ábra).

Online magazinok

A makett a végeredmény klinikai szimulációjaként szolgál, lehetővé téve az esztétika, a funkció és a fonetika értékelését. A páciens szájába nagyon könnyen beilleszthető önpolimerizáló gyanta (pl. Luxatemp, DMG) segítségével. A mock-up további előnye, hogy útmutatóként használható a minimális fogpreparációhoz. A modell még mindig a páciens szájában, egy mélységvágó fúrót használtunk, hogy elegendő helyet biztosítsunk a leendő restaurációk számára, miközben a lehető legtöbb fogszerkezetet megőrizzük.

Előkészítés, lenyomatvétel és cementálás

Mivel a függőleges dimenzió növelésére és a fogak arc- és szájpadlásfelületének helyreállítására volt szükség, úgy döntöttek, hogy a 13-23. fogakat teljes furnérral, a 16., 15., 14., 14., 24. és 25. fogakat furnérbetétekkel, a 27. fogat pedig overlay-vel restaurálják. A 26. fogat korábban implantátummal támogatott koronával pótolták. Az alsó állkapocsívben a 36. fogat implantátummal támogatott koronával, a 46. fogat koronával, az alsó állkapocs elülső fogainak kopott széleit pedig direkt kompozittal állították helyre – a páciens beleegyezett, hogy ezeket a fogakat a jövőben a maximális szilárdság és esztétikum érdekében furnérral állítsák helyre. A korábban leírtak szerint a minimális előkészítést a makett mintájára végeztük el. Az iTero Element 2 intraorális szkennerrel mindkét íjról digitális lenyomatot készítettünk. Ezt követően az STL fájlokat importáltuk az exocad szoftverbe, és összevontuk a korábbi digitális wax-uppal (5. a és b ábra). A restaurációkat lítium-diszilikátból, IPS e.max CAD blokkokból, MT BL4 árnyalatban (Ivoclar; 6. ábra) marattuk ki. A restaurációkat a gyártó ajánlásait követve cementáltuk be, miután megerősítettük a marginális illeszkedést és a páciens beleegyezését egy próbabeültetés során megszereztük. Ennek során a kerámiát 5%-os fluorvizes savval kondicionálták 20 másodpercig, majd az öblítést és szárítást követően a maratott felületre egy szilánréteget vittek fel (Monobond Plus, Ivoclar). A foghordozókat 35%-os foszforsavval

hirdetés
7a és b ábra: A páciens mosolyának műtét előtti (a) és műtét utáni frontális nézete (b).
6. ábra: Végleges lítium-diszilikát restaurációk.
8. a–c ábrák: Az esztétikai eredmény végső nézetei.
9. a–d ábra:
digitális munkafolyamat kiszámíthatóságát mutatják. Kezdeti helyzet (a). Digitális makett (b). Fizikai makett (c). Végleges restaurációk (d).

kezeltük, majd 20 másodpercig öblítettük, és a szárított felületekre egy réteg univerzális ragasztót (Scotchbond Universal, 3M ESPE) vittünk fel. A teljes héjakat, a veneerlay-ket és az onlay-ket fénypolimerizáló műgyanta rögzítőanyaggal (RelyX Veneer Cement, 3M ESPE) adhezíven rögzítették, majd 20 másodpercig fotoaktiválták egy nagy teljesítményű fénykeményítővel (VALO, Ultradent Products). A fotoaktivált cement alkalmazása mellett azért döntöttünk, hogy a fényexpozíció révén teljes polimerizációt és a kromatikus stabilitást egyaránt biztosítsuk, és ezt a restaurációk vastagsága (< 1 mm) és közepes opacitása indokolta. A felesleges cementet eltávolítottuk, elvégeztük az okkluzális korrekciókat, és a végleges restaurációk védelmére kivehető akrilkészüléket készítettünk. A páciens elégedett volt az eredménnyel (7. a–b és 8. a–c ábra)

Következtetés

A digitális munkafolyamat lehetővé teszi az esztétikai eredmény nagyfokú kiszámíthatóságát, mivel a végleges restaurációkat az analóg módszerhez képest nagyobb pontossággal lehet a digitális wax-uphoz igazítani (9. a–d és 10. a–b ábra). A tanulási folyamat a fogorvosi csapat minden tagját bevonja, beleértve a fogtechnikai laboratóriumot is, mivel a jó kommunikáció továbbra is kritikus a kezelés sikeréhez.

Ez a cikk eredetileg az Oral Health magazinban jelent meg, és szerkesztett változata a Newcom Media engedélyével itt olvasható. A cikk a Cosmetic Dentistry –Beauty & Science 18. kötet, 2024/1. számában is megjelent.

2006-ban évfolyamelsőként végzett a perui Cayetano Heredia Egyetemen Limában. A limai Universidad Científica del Sur-on szerzett okklúziós és szájrehabilitációs diplomát, és kiterjedt képzésben részesült Brazíliában és az Egyesült Államokban. Az Infinity fogászati klinika és a limai Infinity Institute for Advanced Dental Learning társalapítója. Dr. Ochoa az Amerikai Fogászati Esztétikai Társaság tagja és az American Board of Aesthetic Dentistry diplomatája. Munkája során dr. Ochoa interdiszciplináris, arcközpontú és minimálisan invazív filozófiát alkalmaz, és digitális eszközöket használ minden esete tervezéséhez és kommunikációjához.

10. a ábra: Műtét előtti intraorális felvétel.
10. b ábra: Műtét utáni intraorális felvétel a fogak maximális intercuspatiójával. hirdetés
“ 11. oldalról
Dr. Paola Ochoa

A jelentés szerint az Egyesült Királyságban a felnőtt lakosság jelentős része csak korlátozottan ismeri a szájüregi rák dinamikáját, és az Oral Health Foundation reméli, hogy ezt a helyzetet a kormányzati tudatosság révén orvosolni tudja. (Kép: Chinnapong/Shutterstock)

Új jelentés sürget nagyobb tudatosságot a szájrákról

Dental Tribune International

Az Oral Health Foundation által közzétett új jelentés rávilágított néhány aggasztó adatra, amelyek mind a szájüregi rák előfordulását, mind a betegség és tüneteinek ismeretét érintik. A novem-

beri szájrák cselekvési hónap részeként közzétett kutatás nemcsak azt mutatja, hogy aggasztóan kevés ismeret áll rendelkezésre arról, hogyan jelentkeznek ezek a betegségek, hanem határozottan amellett is érvel, hogy a kormánynak célzott figyelemfelkeltő kampányt kellene indítania a helyzet kezelésére.

Ami a szájrák gyakoriságát illeti a lakosság körében, az Oral Health Foundation legutóbbi jelentése szerint tavaly 10 825 új szájrákos eset fordult elő az Egyesült Királyságban, ami 38%-os növekedést jelent az elmúlt évtizedben és 133%-os növekedést az elmúlt két évtizedben. Sajnálatos módon a diagnosztizált betegek közül 3637-en vesztették életüket.

Amellett, hogy kiemelte ezeket a rendkívül fontos statisztikákat a betegség elterjedtségére vonatkozóan, a jelentés egyik fontos szempontja a betegséggel kapcsolatos közvélemény tudatosságának és megértésének egyértelmű hiánya volt. Bár az Egyesült Királyságban a felnőttek bátorító 77%-a tisztában van a szájrák kialakulásának lehetőségével, a tünetekkel és az okokkal kapcsolatban a közvélemény kevéssé ismeri a betegséget. A szájrák főbb jeleinek és tüneteinek ismerete mindössze 20%-os, a szájrák fő kockázati tényezőinek ismerete pedig mindössze 8%-os. A jelentésből az is kiderül, hogy a legfontosabb korai figyelmeztető jelekkel kapcsolatban jelentős a tájékozatlanság. A brit felnőttek mindössze 43%-a van tisztában azzal, hogy a három hétnél tovább tartó szájfekély szájrákra utalhat. Még kevesebben ismerik fel a fej, a nyak vagy a száj területén megjelenő csomók vagy duzzanatok (42%), illetve a szájban megjelenő vörös (38%) vagy fehér foltok (32%) kockázatát, és 24% nem tudja azonosítani a tüneteket.

A helyzet megoldása érdekében a jelentés ragaszkodik a szájrákról szóló célzott kormányzati figyelemfelkeltő kampányhoz. A British Dental Journalban dr. Nigel Carter OBE, az Oral Health Foundation vezérigazgatója mély aggodalmát fejezte ki a jelentésben szereplő számadatokkal kapcsolatban, és hangsúlyozta, hogy sürgősen szükség van egy kormány által finanszírozott, a szájrákról szóló felvilágosító kampányra.

Azt mondta: „A statisztikák aggasztó képet festenek. Jelentős figyelemfelkeltő kampány nélkül az emberek továbbra is figyelmen kívül hagyják a korai figyelmeztető jeleket, ami késői diagnózishoz vezet, ami drasztikusan csökkenti a túlélési esélyeket. Az azonnali cselekvés létfontosságú az életek megmentése érdekében.”

Dr. Carter hangsúlyozta: „Meg kell szüntetnünk a szájrákot övező megbélyegzést és tévhiteket, biztosítva, hogy az emberek megértsék, hogy bárkit érinthet. A tudatosság és az oktatás a legerősebb eszközeink, amelyek képessé teszik a lakosságot arra, hogy felismerje a tüneteket és azonnal orvoshoz forduljon, mielőtt túl késő lenne.”

hirdetés

A legújabb ausztrál kormányzati jelentés a

szájegészségügy aggasztó állapotát tárja fel

Dental Tribune International

Az ausztrál kormány október 4-én közzétett új jelentése rávilágított a szájhigiénés és fogászati ellátás megdöbbentő állapotára az egész országban, különösen a hátrányos helyzetű csoportok és a vidéken élők esetében. Míg a meglévő kutatások rávilágítottak a fogászati ellátás ausztrálok számára megfizethetetlen költségeire, az Ausztrál Egészségügyi és Jóléti Intézetnek a szájegészségügyről és a fogászati ellátásról szóló legújabb, frissített jelentése olyan kérdésekre vet további fényt, mint a kórházi kezelés, a kezeletlen fogszuvasodás, valamint az ellátáshoz való hozzáférés és annak gyakorisága.

Talán a legaggasztóbb statisztika, amelyet a jelentés részletez, az, hogy 2022–2023-ban 87 000 olyan fogászati betegség miatt történt kórházi kezelés, amely potenciálisan megelőzhető lett volna.

Ráadásul az 5 és 9 év közötti gyermekek voltak azok, akik a legnagyobb valószínűséggel kerültek

kórházba ilyen potenciálisan meg előzhető fogászati betegségek mi att, az arány 12,3 kórházi kezelés 1000 főre vetítve.

A jelentés másik aggasztó aspek tusa a kezeletlen fogszuvasodás magas aránya volt a lakosság külön böző szegmensei között. Míg a 6 és 14 év közötti gyermekeknél 11%-os előfordulási arányt találtak, addig az 5 és 10 év közöttiek több mint két szer ennyien, 27%-ban, a 15 éves és idősebb ausztráloknál pedig 32%ban volt a legmagasabb a kezeletlen fogszuvasodás aránya.

A jelentés a fogászati ellátás pénz ügyi vonatkozásaival kapcsolatos más, nemrégiben végzett kutatá sok eredményeit is megerősítet te, bemutatva, hogy az ausztrálok 30%-a a költségek miatt késle kedett vagy kerülte el a fogorvos felkeresését az előző 12 hónap ban. Körülbelül 18%-uk számolt be arról, hogy a költségek voltak az okai ennek. Bár ezek a szám adatok az általános lakosságot mu tatják, nagyon fontos megjegyezni, hogy az őslakosok, az alacsonyabb

A fogászati aneszteziológiai AI-eszközök ígéretesnek tűnnek, de

még fejlesztésre

van szükségük

A nagy nyelvi modellek (LLM), a mesterséges intelligencia (AI) egyik típusa, egyre népszerűbbek az orvosi tudományágakban, köztük a fogászati aneszteziológiában is, mivel az információgyűjtés, a betegellátás és az oktatási gyakorlatok javítására alkalmasak. Egy új japán tanulmány értékelte a főbb LLM-ek hasznosságát

a fogászati aneszteziológiában, és arra a következtetésre jutottak, hogy bár az olyan LLM-ek, mint a ChatGPT 4 és a Claude 3 Opus ígéretesnek tűnnek, a modellképzés és a prompt engineering további fejlődése, valamint a magas minőségű, szakterület-specifikus információk rendelkezésre állása elengedhetetlen ahhoz, hogy hatékonyan integrálódjanak a fogászati aneszteziológiába.

A kutatók által kiválasztott LLM-ek a Gemini 1.0-át is tartalmazzák, és a Japán Aneszteziológiai Fogászati Társaság (Japanese Dental Society of Anesthesiology) fórumán használták őket. A cél az volt, hogy felmérjék e modellek hasznosságát a kérdések megválaszolásában mutatott pontosságuk összehasonlításával, betekintést nyújtva a fogászati aneszteziológiában való alkalmazásukba.

3 Opus különösen jól teljesített az olyan területeken, mint a szisztémás kezelés és a fájdalomkezelés. Ugyanakkor valamennyi AI modell 60% alatti általános pontossági arányt mutatott, ami arra utal, hogy a fogászati aneszteziológiában a klinikai döntéshozatalban való jelenlegi hasznosságuk korlátozott. A tanulmány a viszonylag alacsony pontosságot több tényezőnek tu-

a „hallucinációk”, amikor az AI modellek hihető, de téves válaszokat generálnak. Az „Evaluating large language models in dental anesthesiology: A comparative analysis of ChatGPT- 4, Claude 3 Opus, and Gemini 1.0 on the Japanese Dental Society of Anesthesiology board certification exam” című tanulmánya 2024. szeptember 27-én jelent meg online a Cureus-on. DT

A legfrissebb jelentés szerint az ország a szájegészségügyi válság küszöbén állhat. (Kép: David L Young/Shutterstock)
Jelenleg a nagy méretű nyelvi modellek korlátozottak abban, hogy mennyi információt tudnak pontosan szolgáltatni a fogászati aneszteziológiáról. (Kép: Tada Images/Shutterstock)

Indirekt pulpasapkázás

Indirekt pulpasapkázás esetén minimális invazív, szelektív szuvasodás eltávolítást végezzen, a szuvasodással érintett dentin megtartásával a pulpa fölött

Mély szuvasodás ellátása

(1) A nemzetközi fogorvosok szakértői testületéből származó eljárás (Állásfoglalás. 2023. szeptember).

(2) A kiterjedt II. osztály proximális falfelépítést igényel. (Mount GJ, Hume WR. Egy új üregosztályozás. Australian Dental Journal. 1998;43(3):153-9)

(3) Lehetséges technika a koronális restaurációval összefüggésben.

Közvetlen pulpa sapkázás (vitális fog)

Első ülés

1

2

3

4

5

6

7

8

9

A pulpa vitalitásának megállapítása

Izolálja a fogat kofferdám lepedővel

A szuvas foganyag eltávolítása

Hiányzó fal(ak) esetén helyezze fel a matricát a fogra

Csillapítsa a vérzést kompresszióval (1-6% NaOCl)

Aktiválja a Biodentine™ XP kapszulát , használja a Biodentine™ Mixert.

A Biodentine pisztolyt helyezze a kavitás aljába, és lassan fecskendezze be a Biodentine™ XP-t, miközben a pisztolyt visszahúzza (Bio-Bulk Fill) (3)

Ügyeljen a széli záródásra, minimális okkluzális formázás/nyomást gyakoroljon a megkötő Biodentine-re

Vegye ki a Biodentine-t az okklúziós érintkezésekből

Direkt pulpasapkázás (vitális fog)

A második kezelés

minimum 2 hét után és maximum 6 hónappal az 1. kezelés után.

1

2

3

4

5

Vizsgálja meg a pulpa vitalitását

A megfelelő mértékben (átlagosan 2 mm) vegyen el a Biodentine-ből

Vigyen fel adhezivet: totál etch vagy önsavazó módon a Biodentine-re és a fogra

Kompozit tömőanyaggal lássa el a fogat

A páciens visszahívása és követése az aktuális szakmai irányelveknek megfelelően

Ha a vérzés 5 percen belül nem csillapodik, további pulpaszövetet kell eltávolítani (részleges vagy teljes pulpotómia).

Ha a páciens utánkövetése nem kivitelezhető, akkor az eljárást 1 ülésben végezze el.

1

2

3

4

Hagyjon 2 mm helyet, várjon legalább 12 percet a kötés elkezdődésére

Vigyen fel önsvazó adhezívet (szelektív savazással vagy önsavazással) a Biodentine-re és a fogszövetre

Kompozit tömőanyaggal lássa el a fogat

A páciens visszahívása és követése az aktuális szakmai ajánlásoknak megfelelően

AZ ALPHA IMPLANT KFT. MÁR 15 ÉVE AZ ÖN MEGBÍZHATÓ PARTNERE

A minőség a siker garanciája

alphaimplant.hu

Turn static files into dynamic content formats.

Create a flipbook
Issuu converts static files into: digital portfolios, online yearbooks, online catalogs, digital photo albums and more. Sign up and create your flipbook.