Dental Tribune 2025-2

Page 1


The World‘s Dental Newspaper

GYAKORLÓ FOGORVOS AJÁNLJA

Az IRR fennállásának gyanúja esetén mindenképp javasolt CBCT-felvétel készítése. A diagnosztizáláson kívül a kezelés pontos megtervezéséhez is rendkívül hasznosak a háromdimenziós felvételekből nyerhető adatok.

IRÁNYVONALAK, ALKALMAZÁSOK

A kompozitrestaurációnak figyelembe kell vennie a természetes okkluzális anatómiát. Ellenkező esetben olyan malokklúziók alakulhatnak ki, mint például a túlharapás.

SZÍNES HÍREK A NAGYVILÁGBÓL

Mivel bolygónk ökológiai állapota egyre csak romlik, a fogorvosi szakma minden területén érdemes, sőt be is kell építeni a környezettudatos gondolkodást. Az elmúlt években komoly lépéseket tettek meg a szakemberek az egészségügyi szektor...

A változó kori ösztrogénszint csökkenése növeli a fogágybetegségek kockázatát

Egy nemrégiben készült, szakértők által támogatott protokoll nemcsak magának az apikális mikrosebészetnek a technikai vonatkozásait tárgyalja, hanem fontos információkat nyújt a műtét előtti és utáni tényezőkkel kapcsolatban is. (Kép: superbest stock /Shutterstock)

Dental Tribune International

A mai napig nem született szakértői konszenzus, iránymutatás vagy ajánlás az apikális mikrosebészetre vonatkozóan. Ennek megoldása és az apikális mikrosebészet klinikai alkalmazásának egységesítése érdekében a Kínai Stomatológiai Társaság összehívott egy endodontia, parodontológia és szájsebészet szakértőiből álló testületet. Annak érdekében, hogy szakértői konszenzust dolgozzon ki az eljárásról, egységesítve annak indikációit, ellenjavallatait, műtéti protokolljait és értékelési kritériumait. Irányelveik célja a kezelési eredmények javítása és a természetes fogak megőrzése. Az apikális mikrosebészet 90% feletti sikerességi aránnyal büszkélkedhet. Az iránymutatás szerzői azonban kifejtik, hogy a klinikusok tudatosságának és technikájának változatossága továbbra is helytelen esetválasztást, következetlen műtéti protokollokat, súlyos szövődményeket és alacsony hatékonyságot eredményez. E strukturált keretrendszer biztosításával az esetválasztás, az eljárás végrehajtása és a hosszú távú nyomon követés következetességének javítására törekszenek. Az újonnan létrehozott szakértői konszenzus és átfogó útmutató egyértelmű indikációkat vázol fel az eljárásra. Mint például a gyökérkezelés után fennmaradó tünetek, vagy olyan esetek, amikor a gyökérkezelés

vagy a retreatio nem kivitelezhető. Az ellenjavallatokat is ismerteti, beleértve az olyan szisztémás állapotokat, mint a kontrollálatlan magas vérnyomás és cukorbetegség, valamint az anatómiai kihívásokat, mint például a létfontosságú struktúrák közelsége. Az indikációk és ellenjavallatok értékeléséhez a konszenzus útmutatást ad a műtét előtti vizsgálatra vonatkozóan. Hangsúlyozva az alapos képalkotást, beleértve a CBCT-t is, a műtéti terület felmérése és a beteg biztonságának biztosítása érdekében.

Hangsúlyt fektet továbbá a legjobb gyakorlatokra a lebenytervezés, az oszteotómia, a gyökérvég-reszekció, a gyökérvég-előkészítés és a biokerámia-tömés tekintetében. Útmutatást ad a mikroszkóp elhelyezésére és a vérzéscsillapítási technikákra vonatkozóan is.

Az átfogó útmutató hangsúlyozza a posztoperatív kezelés fontosságát, a fertőzések megelőzésére, a fájdalom csökkentésére és a megfelelő gyógyulás biztosítására összpontosítva a hosszú távú nyomon követés révén. Amely a gyógyulás értékeléséhez három, hat, 12 és 24 hónappal a műtét után végzett röntgen- és klinikai vizsgálatokat javasol. Meghatározza továbbá a lehetséges szövődményeket. Többek között az arcüreg perforációját, az idegsérülést és a műtéti terület fertőzéseit és azok kezelését. A szakértők által összeállított dokumentum kiemeli a klinikusok strukturált képzésének fontosságát. Emellett további kutatásokat sürget a fejlődő technológiák terén, beleértve a piezo sebészetet, a kiterjesztett valóság által vezérelt eljárásokat és a robotikát, amelyek tovább finomíthatják a mikrosebészeti technikákat.

Ezzel a szakértők által támogatott protokollal az apikális mikrosebészet készen áll arra, hogy tovább járuljon hozzá az endodontiai ellátáshoz, megbízható, minimálisan invazív megoldást kínálva az összetett periapikális állapotokkal küzdő betegek számára.

Csatári-Földváry Eszter

A változó korban lévő nőknél az ösztrogénszint csökkenése növeli a fogágybetegség kockázatát, különösen azoknál, akiknél genetikai vagy egyéb hajlamosító tényezők, például csontritkulás (oszteoporózis) áll fenn. Aki az oszteoporózis kezelésére biszfoszfonát-tartalmú gyógyszert szed, az mindenképpen tájékoztassa erről fogorvosát, mert ez a hatóanyag a csont regenerációs képességét is csökkenti, ami egyes fogászati beavatkozásoknál komplikációkhoz vezethet – hívja fel a figyelmet dr. Dobos Andrea, a Semmelweis Egyetem Parodontológiai Klinikájának tanársegédje.

A fogágybetegség súlyos, nagyszámú fog elvesztéséhez vezető típusa világszerte a lakosság mintegy 40 százalékát érinti. Az enyhébb kórlefolyást mutató eseteket is figyelembe véve Magyarországon tízből nyolc felnőtt szenved valamilyen szintű íny- vagy fogágybetegség-

ben, ami megegyezik a nemzetközi adatokkal is.

A népbetegségnek számító krónikus, azaz hosszú évek, évtizedek alatt kialakuló gyulladásos folyamat az ínyt, a fogakat rögzítő csontot és kötőszövetet érinti, ezáltal a szájüreg egészségére is komoly hatással van. Kezdetben ínyvérzéssel és kellemetlen lehelettel jelentkezik, előrehaladott állapotban pedig a fogak meglazulásához, később azok elvesztéséhez vezethet, mivel kezelés nélkül a gyulladás a mélyebb szövetekre is átterjedhet. A fogágybetegség növelheti a cukorbetegség vagy akár a szív- és érrendszeri megbetegedések lefolyásának súlyosságát is, továbbá összefüggésben állhat a koraszülések és az alacsony születési súly gyakoribb előfordulásával. A változó korban lévő nők a menopauza során bekövetkező hormonális változások miatt jobban ki vannak téve a betegség kockázatának, mint a férfiak vagy a 45 év alatti nők. Az ösztrogénszint csökkenése a menopauza idején többek között az állcsontok anyagcseréjére is kihat,

ilyenkor bakteriális fertőzés esetén a csontlebomlás felgyorsul, az új csontszövet képződése pedig lassul – mondja dr. Dobos Andrea, a Semmelweis Egyetem Parodontológiai Klinika tanársegédje. Hozzáteszi: a hormonális okok miatt kialakult csontritkulás a fogágybetegségek lefolyását is meggyorsíthatja. Azokban az esetekben, amikor mindkét betegség fennáll, fontos volna a kezelőorvosok közötti kommunikáció a csontritkulás gyógyszeres kezelésének megkezdése előtt, ugyanis a biszfoszfonát hatóanyagú gyógyszerek lassítják ugyan a csont lebomlását, de a regenerációs képességét is csökkentik. Ez egyes fogászati beavatkozások esetében (például fogeltávolításnál, szájsebészeti, parodontológiai műtétnél) akár súlyos komplikációkhoz is vezethet.

Ezért az, aki az oszteoporózis kezelésére biszfoszfonát vagy más, a csontanyagcserét lassító (antireszorptív) hatású gyógyszert szed

3. oldal

(általában szájon át hetente egyszer, vagy intravénásan néhány havonta), kezelés előtt mindenképpen tájékoztassa erről fogorvosát – hívja fel a figyelmet a szakember.

Dr. Dobos Andrea hangsúlyozza, hogy a fogágybetegség a leghatékonyabban a megfelelő otthoni szájhigiéné kialakításával és fenntartásával, valamint a fogorvosi rendelőben végzett rendszeres ultrahangos fogkőleszedéssel előzhető

meg. A fogkefe és a fogkrém mellett ajánlott a fogselyem, fogköztisztító kefék használata is. A rendszeres fogorvosi vizsgálatok és az időben felállított diagnózist követő célzott parodontológiai műtéti kezelések hozzájárulhatnak a fogak és a fogágy egészségének megőrzéséhez, még a változó korban is. Az egészséges táplálkozás, a megfelelő D-vitamin-bevitel pedig támogatják a csontok egészségét.

Forrás: Semmelweis.hu

Fotó: Zellei Boglárka “

A fogszuvasodás új kockázata az Egyesült Államokban

Dental Tribune International

Az Egyesült Államok vidéki közösségei egyre nagyobb szájegészségügyi válsággal néznek szembe, mivel a fluorozott vízhez és a fogászati ellátáshoz való hozzáférés egyre csökken. Ez a kettős kihívás azzal fenyeget, hogy visszafordítja a fogszuvasodás megelőzésében elért évtizedes eredményeket, különösen a gyermekek és az alacsony jövedelmű családok körében.

A víz fluoridálását a huszadik század közepe óta alkalmazzák, és nagyban hozzájárult a fogszuvasodás körülbelül 25%-os csökkentéséhez mind a gyermekek, mind a felnőttek körében. A lehetséges egészségügyi kockázatokkal kapcsolatos aggodalmak azonban egyes közösségekben a fluoridálás megszüntetéséhez vezettek. Közegészségügyi szakértők arra figyelmeztetnek, hogy ezek a döntések aránytalanul nagy mértékben érinthetik az ellátatlan lakosságot, amely a fogszuvasodás megelőzésének elsődleges eszközeként a fluorozott vízre támaszkodik.

A problémát súlyosbítja, hogy a vidéki területeken hiány van fogorvosokból. Sok megyében nincs elegendő fogorvosi szolgáltató, néhányban pedig senki sem fogadja el a Medicaidot, így a lakosok számára korlátozottak a szájegészségügyi szolgáltatások lehetőségei. Ez a hiány arra kényszeríti az egyéneket, hogy nagy távolságokra utazzanak az ellátásért, vagy teljesen lemondjanak róla, ami kezeletlen fogászati problémákhoz és az egészségi állapotbeli egyenlőtlenségek növekedéséhez vezet.

A Medicaid-támogatás csökkenése tovább súlyosbítja a problémát, és súlyos hatással lesz a fogászati ellátásra. A javasolt szövetségi költségvetési megszorítások a fogászati szolgáltatások finanszírozásának csökkentésével fenyegetnek, ami még nagyobb kihívást jelent az alacsony jövedelmű családok számára, hogy hozzáférjenek a szükséges ellátáshoz. Megfelelő biztosítási fedezet nélkül a megelőző kezelések és a rutinellenőrzések sokak számára anyagilag elérhetetlenné válnak. Az e kihívások kezelésére tett erőfeszítések közé tartozik a szuvasodás megállí-

Elhízás, diabétesz és fogvesztés közötti összefüggéseket

vizsgálja

egy új tanulmány

Egy japán kutatók által készített áttekintés szerint a magasabb testtömegindex a fogak megtartásának fokozatos csökkenésével jár 40 éves kortól. (Kép: AntonioDiaz/Adobe Stock)

Dental Tribune International

Az elhízás, diabétesz és fogvesztés közötti kapcsolat jól ismert probléma szerte a világon. Azonban az összefüggésekről szóló tanulmányok többsége 10 000 főnél kisebb mintájú volt. A korábbi tanulmányok kis mintaszáma korlátozta a fogvesztés egyéb parodontológiai betegségek kockázati tényezőinek megbízható elemzését. A japán Ōtsu városában található Shiga University of Medical Science Egyetem kutatói által készített narratív áttekintés nagy mintaszámú adatokat használt fel a cukorbetegség és az elhízás fogmegmaradásra gyakorolt hatásának vizsgálatához. Ezáltal világosabb betekintést nyújtva a betegségek között fogvesztéssel járó összefüggésekkel kapcsolatban.

Krónikus gyulladás és inzulinrezisztencia

A szerzők kiemelték, hogy az elhízás, diabétesz és fogvesztés közötti összetett összefüggéseket a korábbi kutatások részben már vizsgálták. A zsigeri zsírfelhalmozódás köztudottan elősegíti a krónikus gyulladást és az inzulinrezisztenciát – a cukorbetegség kulcsfontosságú mechanizmusait. A periodontális gyulladás továbbá hozzájárulhat a szisztémás inzulinrezisztenciához. Ezen öszszefüggések ellenére a cukorbetegségben vagy elhízásban szenvedő egyének fogmegmaradására vonatkozó adatok korlátozottak. A cukorbetegség és az elhízás fogmegmaradásra gyakorolt hatásának átlátásához a kutatók egy nagy adathalmazra támaszkodtak, amely mintegy 230 000 egyén fogászati kezelését és egészségügyi vizsgálatának adatait tartalmazta.

Az elemzés kimutatta, hogy a magasabb hemoglobin A1c (HbA1c) és éhgyomri glükózszintek öszszefüggésbe hozhatók a kevesebb megmaradt foggal. Ez az inverz kapcsolat még a cukorbetegséggel nem diagnosztizált személyek körében is nyilvánvaló volt. A tanulmány megállapította, hogy a harmincas éveikben járó, ≥ 7%-os HbA1c-szintű egyéneknél nagyobb volt a hátsó fogak elvesztésének kockázata, mint a jobb glikémiás értékkel rendelkezőknél. A negyvenes és ötvenes

éveikben járó egyéneknél ez a tendencia a frontfogakra is kiterjedt. A kutatók szerint ezek az eredmények arra utalnak, hogy a nem megfelelő glikémiás érték hozzájárul a korai hátsó fogvesztéshez.

A azdohányzás, elhízás és a cukorbetegség együttes hatása a betegségekreparodontális

A tanulmány felülvizsgálata megállapította, hogy a magasabb testtömegindex 40 éves kortól kezdve a fogak megtartásának fokozatos csökkenésével jár együtt. A helyspecifikus elemzésből az is kiderül, hogy a dohányzás fokozott fogvesztéshez vezetett, még azokon a helyeken is, ahol az elhízás önmagában nem járult hozzá a fogvesztéshez. Mesterséges intelligenciával megvizsgálva a tanulmányt az elhízás és a dohányzás is a parodontitis első számú kockázati tényezői közé került be. Összességében a tanulmány kutatói arra a következtetésre jutottak, hogy a 24-nél kevesebb foggal rendelkező egyéneknél az elhízás a fogveszteséget 1,47-szeresével növelte, valamint 1,35-szörösére, ha a dohányzást és a cukorbetegséget is figyelembe vették.

A jó szájhigiénia fenntartása segíti a cukorbetegség megfelelő glikémiás szintjének a tartását, ez pedig segít

A víz fluoridálásának csökkentése, a fogorvosi szolgáltatók hiánya és a Medicaid közelgő csökkentése egyre nagyobb szájegészségügyi válságot okoz az Egyesült Államok vidéki közösségeiben. (Kép: Novak - stock.adobe.com)

tására szolgáló ezüst-diamin-fluoriddal történő kezelés, amely különösen hasznos alternatíva azon betegek számára, akik nem férnek hozzá könnyen a hagyományos fogászati szolgáltatásokhoz. Emellett néhány államban vizsgálják a fogászati terapeuták alkalmazását, hogy az alulellátott területeken alapellátást nyújtsanak, ezzel is áthidalva a szolgáltatók elérhetőségében mutatkozó hiányosságokat. E kezdeményezések ellenére a csökkentett vízfluoridálás, a korlátozott fogorvosi munkaerő és a Medicaid lehetséges csökkentése együttesen jelentős veszélyt jelent a szájegészségügyre a vidéki Amerikában. A közegészségügyi tisztviselők hangsúlyozzák, hogy átfogó stratégiákra van szükség annak biztosítására, hogy minden közösség hozzáférjen az alapvető fogászati ellátáshoz és a megelőző intézkedésekhez.

IMPRESSZUM NEMZETKÖZI SZÉKHELY

FELELŐS KIADÓ ÉS VEZÉRIGAZGATÓ: Torsten Oemus

TARTALOMÉRT FELELŐS IGAZGATÓ: Claudia Duschek

Dental Tribune International GmbH

Holbeinstr. 29, 04229 Leipzig, Germany Tel.: +49 341 4847 4302 Fax: +49 341 4847 4173

Általános információ: info@dental-tribune.com

megelőzni a parodontális betegségeket és a fogvesztést. Ez a kétirányú kapcsolat az elhízott és a metabolikus szindrómában szenvedő egyének körében is jelen van, írták a kutatók. Javasolták a dohányzásról való leszokást és a rendszeres fogorvosi viziteket a veszélyeztetett egyének számára. Valamint a parodontális betegségben szenvedő betegeknél a metabolikus állapotok folyamatos szűrését.

Összefüggő okok kezelésének fontosságát emeli ki a tanulmány

A kutatók szerint a tanulmányban felhasznált nagyméretű orvosi adatok fontos betekintést nyújtottak a betegségek közötti öszszefüggésekbe. Ami ígéretessé teszi a további alkalmazások és kutatások szempontjából. A korábbi vizsgálatokkal alátámasztott eredmények hangsúlyozzák az elhízás, diabétesz és fogvesztés közötti összefüggések kezelésének fontosságát, amely a fogvesztés megelőzésének kulcsfontosságú stratégiája.

A tanulmányt, melynek címe: „The relationship among obesity, diabetes, and oral health: A narrative review of real-world evidence" 2025. január 18-án tették közzé online a Current Oral Health Reports című folyóiratban.

Hirdetésfelvétel: mediasales@dental-tribune.com www.dental-tribune.com

A Dental Tribune International GmbH azon anyaga, amelyet újra nyomtattak vagy lefordítottak és újból kinyomtattak ebben a kiadásban a Dental Tribune International GmbH szerzői jogi védelme alatt áll. Az ilyen anyagokat a Dental Tribune International GmbH engedélyével lehet csak közzétenni. A Dental Tribune a Dental Tribune International GmbH védjegye. Minden jog fenntartva. © 2025 Dental Tribune International GmbH. A Dental Tribune International GmbH előzetes írásbeli engedélye nélkül bármilyen módon, egészben vagy részben történő sokszorosítása kifejezetten tilos.

A Dental Tribune International mindent megtesz annak érdekében, hogy a klinikai információkat és a gyártók termékeiről szóló híreket pontosan adja közre, nem vállal azonban felelősséget a termékekről szóló állítások helytállóságáért vagy a nyomdahibákért. A kiadó nem vállal továbbá felelősséget sem a terméknevekért vagy -leírásokért, sem a hirdetők közleményeiért. A szerzők által kifejtett véleményt a sajátjuknak kell tekinteni, és azok semmi módon nem tükrözik a Dental Tribune International véleményét.

KIADJA: DP HUNGARY KFT. 1012 Budapest, Kuny Domokos u. 9.

FELELŐS KIADÓ: Laczkó Tamás

FORDÍTÓ: Laczkó Leonard

NYOMDAI ELŐKÉSZÍTÉS: DP Hungary Kft.

NYOMDAI KIVITELEZÉS: Copy & Consulting Kft.

ADATEGYEZTETÉS, INFORMÁCIÓ: Kiss Éden Aliz, 06-30-472-0030

HIRDETÉSFELVÉTEL: Laczkó Tamás, 06-30-472-0030 ISSN 1786-9889

Dr. Dobos Andrea

Belső gyökérfelszívódás egy ülésben

történő ellátása endodonciai és sebészi terápia együttes alkalmazásával

Esetbemutatás

Dr. Bartłomiej Karaś

Bevezetés

Belső gyökérfelszívódás (internal root resorbtion; IRR) esetében a gyökeret alkotó kemény szövetek odontoclastok által történő lebontását figyelhetjük meg. Ez a legtöbb esetben egy teljesen tünetmentes ismeretlen etiológiájú folyamat. A belső gyökérfelszívódást legtöbbször accidentális leletként más, panaszokat okozó fogakról készült röntgenfelvételeken vagy tájékozódási céllal készített panorámafelvételeken diagnosztizálhatjuk. Gyanú esetén kifejezetten ajánlott CBCT-felvétel készítése, amely sokkal egyértelműbbé teszi az IRR fennállását, valamint nagymértékben elősegíti a kezelés megtervezését. Az IRR két különböző formában jelentkezhet: gyulladásos vagy helyettesítő reszorbció. Az előbbi általában kerekded, szabályos léziót okoz, míg az utóbbi megjelenésében a külső cervikális reszorbció képét utánozza. Ennek megfelelően ezt nagyobb eséllyel diagnosztizálják félre. A belső gyökérfelszívódás ellátása során a legfontosabb a még vitális pulpaszövetek teljes körű eltávolítása, ugyanis ez tartja fenn a reszorbtív folyamatot. Ha a destruktív folyamat még nem törte át a gyökér külső falát, akkor elegendő a fog gyökérkezelése, azonban ha a gyökér már perforálódott, akkor a legtöbbször sebészi kiegészítő

(c).

2. ábra: Kiindulási állapot.

3. ábra: A gyökértömés elkészítése során készített felvétel.

4. a–b. ábra: A reszorbciós üreg Biodentine-nel való feltöltése. Intraoperatív (a) és radiológiai felvétel (b). – 5. ábra: Az öt hónappal később látható állapot. Nem észlelhetők gyulladás fennállására utaló jelek.

A kezelés befejezését követően 30 hónappal készített CBCT-felvételen a gyógyulás jelei észlelhetők.

terápia alkalmazása is szükségessé válik.

Első esetbemutatás

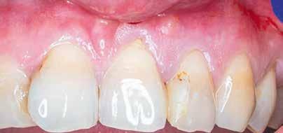
A 40 éves hölgypácienst a bal felső nagymetszőfogában accidentálisan diagnosztizált IRR kezelése céljából irányították rendelőnkbe.

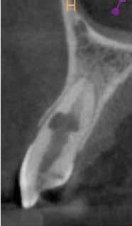
Az elváltozást egy diagnosztikai céllal készített panoráma-röntgenfelvételen észlelték. Az elváltozás kiterjedésének pontos meghatározása, valamint a kezelési terv felállításának és a várható prognózis megítélésének elősegítése érdekében CBCT-felvétel készült (1. a–c ábra). A reszorbtív lézió a fog gyökerének középső harmadában helyezkedett el és a

gyökér meziális felszínét perforálta. A lézió kerek és szimmetrikus volt, amely gyulladásos típusra utalt. Az oszteolitikus terület fókusza a perforáció közelében helyezkedett el (2. ábra). A csontban lévő lézió és a gyökérperforáció az endodonciai kezelés sebészi kiegészítését tette szükségessé. Ennek megfelelően az egy ülésben történő gyökérkezelést követően

– ugyanazon ülésben – sebészi beavatkozással egészítettük ki. Helyi érzéstelenítést követően megtörtént a hozzáférési nyílás kialakítása. A fogbélkamrát egy gyémánt felszínű ultrahangos eszköz segítségével kitisztítottuk és megfelelő formára alakítottuk. A fogbélkamra tisztítása során nátrium-hipokloritot alkalmaztunk, és emellett a

gyökércsatornában lévő pulpát is részlegesen eltávolítottuk. A sebészi feltáráshoz szükséges metszést a frenulum mellől indítottuk, majd intrasulcularisan, papillakímélő módon a szemfogig vezettük. A lebeny felemelését követően a csontos falú üregből a granulációs szövetet egy éles exkavátor segítségével eltávolítottuk.

1. a–c ábra: Kiindulási CBCT-felvétel. Az axiális síkú metszeten jól látható a gyökér falának perforációja (a); Koronális irányú metszet (b), Saggitális irányú metszet

A gyökércsatorna feltágítását és tisztítását hagyományos kemomechanikai protokoll szerint végeztük. Először passzívan levezetett kézi tűk segítségével a gyökércsatornát teljes munkahosszon szondáztuk, ezt követően gépi tágítókkal feltágítottuk, ezalatt nátrium-hipoklorittal öblítettünk, amelyet manuális agitációval aktiváltunk. A gyökércsatorna méretre történő tágítását követően, a következő átöblítőszereket alkalmaztuk: 3 percen keresztül ultrahanggal aktiváltunk 5,25%-os NaOCl oldatot, amelyet közben többször frissítettünk a csatornában, majd váltott átöblítés (17%os EDTA, 5,25%-os NaOCl) a smear layer eltávolítása céljából. Végső átöblítésként 5 percen keresztül ismét 5,25%-os NaOCl oldatot alkalmaztunk, amelyet ultrahanggal aktiváltunk és folyamatosan cseréltünk. A kemomechanikai megmunkálás és az átöblítőszerek alkalmazása során az elszívást a reszorbciós üreg széléhez helyeztük annak érdekében, hogy a kifolyó kémiai hatású szerek ne tudják a környező csont állományt roncsolni.

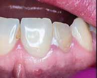
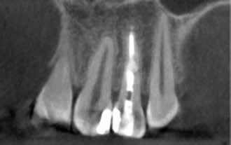
A gyökértömés elkészítése során meleg vertikális kompakciós technikát alkalmaztunk, sealerként pedig CeraSeal-t (Meta Biomed; 3. ábra) használtunk. A reszorbciós üreget Biodentine-nel (Septodont; 4. a–b ábra) töltöttük fel. A reszorbcióval érintett területtől koronális irányba elhelyezkedő csatornaszakaszt pedig tisztán meleg guttaperchával kezeltük. Ezt követően a lebenyszéleket visszafektettük, és varratok behelyezésével eredeti pozíciójuknak megfelelően rögzítettük. A koronai részt kompozit tömőanyag segítségével állítottuk helyre. Kontrollvizsgálatra 5, illetve 30 hónappal később került sor (5. ábra). A csontos telődés jelei már 5 hónap után észlelhetők voltak (6. a–c ábra). A 30 hónappal később végzett kontroll során sem találtunk csontban lévő lézióra, törésre vagy egyéb pathológiás elváltozásra utaló jeleket (7. a–b ábra)

Második esetbemutatás

A 28 éves pácienst gyulladásos IRR kezelése céljából irányították a rendelőnkbe. A jobb felső nagymetszőfogáról készített periapikális röntgenen egyértelműen látható volt a lézió. A várható prognózis megállapítása, valamint kezeléstervezés céljából az érintett területről CBCT-felvétel készült (8. a–e ábra). A háromdimenziós képen látható volt a gyökér labiális falán lévő perforációs nyílás, valamint az ezt körülvevő bukkális kortikális destrukciója. A terület sebészi feltárását a bal felső nagymetszőfogtól a jobb felső szemfogig intrasulcularisan vezetett metszésből végeztük el. A lebeny elemelését követően egy exkavátor segítségével eltávolítottuk a reszorbciós üreget kitöltő granulációs szövetet (9–11. ábra), majd hagyományos

protokollt követve elvégeztük a gyökércsatorna kemomechanikai megmunkálását.

A csatornát először passzívan levezetett kézi tűk segítségével szondáztuk, majd gépi tágítók alkalmazásával a teljes mun -

kahosszon feltágítottuk, ezalatt nátrium-hipoklorittal öblítettünk, amelyet manuális agitációval aktiváltunk. A csatorna kémia tisztítását az előző esetnél leírt protokollnak megfelelően végeztük el.

A gyökértömés elkészítése során meleg vertikális kompakciós technikát alkalmaztunk, sealerként pedig AH Plus sealer-t (Dentsply Sirona) használtunk.

A reszorbciós üreget gyors kötési idejű

hirdetés

8. a–e ábra: A kiindulási röntgen (a) és a kiindulási állapotról készített CBCT-felvétel (b–e). A felvételen jól látható a csatornafal és a bukkális kortikális perforációja.
8a 8b 8c 8d 8e

perforáció

Javasolt terápia

gyökércsatorna és a reszorbeálódott terület

kitöltéséhez javasolt anyag

guttapercha

Megbeszélés

Annak ellenére, hogy az IRR pontos etiológiája máig ismeretlen számunkra, több vizsgálat is egyetért abban, hogy a sikeresség érdekében feltétlenül szükség van a reszorbciótól apikálisan található csatornaszakaszban lévő vitális fogbél eltávolítására. Az ezzel foglalkozó tanulmányok szerzői abban is egyetértenek, hogy ha egyszer sikerült megállítani a reszorbciós folyamatot, akkor rendkívül kicsi az esélye annak, hogy újból kialakuljon. Ennek megfelelően a prognózis szempontjából az egyik legfontosabb szempont a fog helyreállíthatóságának a megítélése. A cikkben bemutatásra kerülő esetekben a kezelésre kerülő fogak biomechanikai integritása jelentős mértékben kompromittálódott, de a páciensek életkora és a fogmegtartó kezeléssel járó kockázatok vállalása lehetővé tette ezen beavatkozások elvégzését. Az IRR két különböző típusa –gyulladásos és helyettesítő – kissé eltérő sebességgel progrediál, azonban a folyamat során mindkét esetben ugyanakkora szerep jut az osteoclastokra. Klinikai szempontból a két típus között megfigyelhető különbségek elhanyagolhatóak, ugyanis nem befolyásolják érdemben az alkalmazott terápiát.

MTA-val (Mineral Trioxide Aggregate; Harvard Dental) töltöttük fel. A léziótól koronális irányban elhelyezkedő gyökércsatorna-szakaszt meleg guttaperchával zártuk, majd az MTA-val kitöltött üregre egy kis darab kollagénszivacsot helyeztünk és a lebenyt varratok segítségével eredeti pozíciójában rögzítettük (12. a–b; 13. a–b. ábra). A fog koronai részét Gradia kompozit tömőanyaggal állítottuk helyre (GC; 14. a–b; 15. ábra). Kontrollvizsgálatra két (16. a–b ábra) és négy évvel (17. a–b ábra) később került sor. A kontrollfelvételeken a bukkális kortikális jelenléte volt észlelhető. A fog körüli parodoncium egészséges volt, valamint a páciens sem számolt be tünetekről.

16. a–b ábrák: A két évvel később készített kontroll CBCT-felvétel. – 17. a–b ábrák: A négy évvel később készített kontroll CBCT-felvétel.

Perforáció és csontlézió együttes fennállása

endodonciai endodonciai és sebészi

guttapercha és biokerámia (az üreg feltöltésére)

guttapercha és biokerámia (az üreg feltöltésére)

Az IRR fennállásának gyanúja esetén mindenképp javasolt CBCT-felvétel készítése. A diagnosztizáláson kívül a kezelés pontos megtervezéséhez is rendkívül hasznosak a háromdimenziós felvételekből nyerhető adatok. Azt, hogy milyen stratégia mentén látjuk el a fogat, leginkább két fő tényező befolyásolja: A lézió alakja, és hogy van-e perforáció a gyökéren (1. táblázat). A fentiekben bemutatott esetek jól példázzák, hogy az egy ülésben végzett kombinált endodonciai és sebészi terápia alkalmas azon IRR-rel érintett fogak hosszú távú megtartására, ahol a gyökér már perforálódott és emellett a környező csontállomány is érintetté vált.

Ez a cikk a Roots –International magazine of endodontics 20. kötet, 2024/1 számában jelent meg.

Dr. Bartłomiej Karaś

2009-ben szerzett fogorvosi diplomát a lengyelországi Wrocławi Orvosi Egyetemen.

Oktató és számos, a minimálisan invazív endodontiára összpontosító publikáció szerzője.

A Lengyel Fogorvosok Egyesülete endodontológiai szekciójának alelnöke, valamint az Európai Endodontológiai Társaság és a Lézerfogászati Világszövetség tagja. Dr. Karaś Wrocławban endodontiai magánrendelőt vezet.

Kapcsolat: karasdentysta@gmail.com ww.bkaras.com

9. a–b ábra: A műtét előtt (a) és a lebeny felemelését követően látható állapot (b). – 10. a–d ábra: A granulációs szövet eltávolítása.
13. a–c ábra: A reszorbtív üreg bioanyaggal való feltöltése és a kollagénszivacs elhelyezése. – 14. a–b ábra: Posztoperatív röntgen (a), a varratok behelyezését követően látható klinikai helyzet (b).
1. táblázat: A kezelés tervezési megközelítése.
15. ábra: A 14 nappal később látható állapot.
11. a–b ábra: A gyökércsatorna átöblítése.
12. a–b ábra: A gyökértömés elkészítése.

I. osztályú restauráció termoviszkózus kompozittal

Bevezetés

A sokéves fejlesztés után a nano és nanohibrid kompozitokban rejlő lehetőségek műszaki szempontból kezdetben, a XXI. század első évtizedében kimerültek. A fogászati cégek azonban – nem utolsósorban a folyamatosan fennálló verseny miatt – továbbra is leleményesen és kreatívan dolgoztak az innovatív technológiák kifejlesztésén. Ez lehetővé teszi, hogy a kompozitfelhasználó a már bevált előnyök mellett további előnyökből is részesüljön. Az innovatív bulk-fill kompozitok, amelyek lehetővé teszik a gyors, egyetlen lépésben történő tömést, jó példa erre [1].

Kezelés

Ez a cikk egy I. osztályú moláris üreg kezelését írja le egy termoviszkózus kompozit felhasználásával, bélyegtechnikával (1. ábra). A fogat fogászati gáttal izoláltuk, majd az anatómiai részleteket egy átlátszó, folyékony, fénypolimerizált kompozit (Clip Flow, VOCO) segítségével rögzítettük, amelyet egy applikátorkefével vittünk fel az okkluzális felületre, és 10 másodpercig polimerizáltunk (2–4. ábrák). A polimerizált átlátszó kompozitbélyegző ellenőrzése után (5. ábra) azt alkoholban (etanol vagy izopropanol) kell tárolni az oxigéninhibíciós réteg eltávolítása érdekében. Ezt követően a szuvas fogazatot kimetszették (6. és 7. ábrák). A zománcot 30 másodpercig, a dentint 15 másodpercig marattuk (DeTrey Conditioner 36, Dentsply Sirona), majd mindkettőt alaposan kiöblítettük (8–10. ábrák) Az alacsony maradék dentinalis vastagság miatt pulpavédelmet (Telio Desensitizer, Ivoclar Vivadent) is alkalmaztunk (11. ábra). Ezután a ragasztót (Futurabond DC, VOCO) 20 másodpercre felvittük az üregbe, majd olajmentes légáramban 5 másodpercig szárítottuk, és 10 másodpercig fénypolimerizáltuk (12. és 13. ábrák). Az optimális nedvesítés érdekében az üreg padlóját egy rendkívül vékonyan folyó, folyékony kompozittal (GrandioSO Light Flow, árnyalat A3.5, VOCO) bélelték ki, és 20 másodpercig fénypolimerizálták (14. és 15. ábrák). A VisCalor Dispenser (VOCO), a kompozitok

egyidejű felmelegítésére és felvitelére szolgáló kézi adagoló segítségével az üreget egy termoviszkózus, ömlesztett kompozittal (VisCalor bulk, A2 árnyalat) töltöttük ki. A felmelegített kompozit folyékony állagú, így tökéletesen kezelhető, és akár 4 mm-es rétegekben is felhordható (16. ábra). Ahogy lehűl testhőmérsékletre, a termoviszkózus kompozit viszkozitása megnő, így nagyon könnyen modellezhető (17. ábra). A fénypolimerizációt 20 másodpercig végeztük (besugárzás ≥ 1000 mW/cm2; 18. ábra). Az ömlesztett kompozit használata lehetővé teszi a gyors, egyetlen lépésben történő kitöltést. Ha egy második rétegre van szükség, a felső réteg alternatívaként az univerzális esztétikus VisCalor A1 árnyalatú termoviszkózus tömőanyaggal is el

-
1. ábra: I. osztályú fogszuvasodással rendelkező moláris fog.
2. ábra: A fogászati gát felhelyezése. – 3. ábra: A Clip Flow egy rétegének felvitele applikátorkefével. – 4. ábra: A Clip Flow könnyű polimerizációja.
5. ábra: Okkluzális bélyegző.
6. ábra: Az üreg feltárás közben.
7. ábra: Üreg a feltárás után.

megjelenésű és magas minőségű restaurációkat kapjunk.

A döntés, hogy ebben az esetben egy folyékony és csomagolható termoviszkózus ömlesztett töltelékkompozitot használnak, annak alacsony viszkozitása miatt született, amikor melegítik, ami jelentős időmegtakarítást eredményez. A termoviszkózus, esztétikus kompozitanyag használata mellett nem a tömeges adagolású alkalmazás miatt döntöttünk, hanem inkább az esztétikai előnyök miatt.

Következtetés

Az anatómia helyreállítása a fájdalom tüneteinek megszüntetésével a rágórendszer funkcionalitásának helyreállításához is vezetett. A rendkívül konzervatív és könnyen kezelhető termoviszkózus anyagok használata lehetővé tette az eset kezelését ugyanazon ülésen belül. A pácienst nagyon lenyűgözte az esztétikai eredmény, mivel a restaurációt alig lehetett megkülönböztetni a természetes fogtól.

Köszönetnyilvánítás

A szerző köszönetet mond dr. Matthias Mehringnek, a VOCO tudásmenedzserének az anyagok rendelkezésre bocsátásáért.

Szerkesztői megjegyzés: Ez a cikk a ZWP Zahnarzt Wirtschaft Praxis 7+8/2021-es számában jelent meg. A lefordított és szerkesztett változatot engedéllyel közöljük.

Irodalomjegyzék

1. Manhart J, Hickel R. Bulk Fill-Komposite. Neuartige Einsatztechnik von Kompositen im Seitenzahnbereich [Bulk-fill composites. Modern application technique of direct composites for posterior teeth]. Swiss Dent J. 2014; 124(1):19–37. French, German. doi: 10.61872/sdj-2014-01-02.

2. Ilie N, Stawarczyk B. Bulk-Fill-Komposite: neue Entwicklungen oder doch herkömmliche Komposite? [Bulk-fill composites: new developments or conventional composites?] ZMK. 2014;30(3):90–7. German.

3. Simon WJ, ed. Clinical operative dentistry. Philadelphia, PA: Saunders; 1956. 381 p. “ 8.

Az egykori franciaországi Paris Descartes Egyetemen szerzett diplomát, és ott számos kutatási projektet folytatott. Számos publikáció szerzője és a Párizsi Egyetem kozmetikai fogászati tanulmányozó csoportjának tagja. A yassine.harichane@gmail.com címen érhető el.

Az OMNICHROMA kompozitok sikertörténete 2025-ben

is folytatódik

A TOKUYAMA DENTAL úttörő OMNICHROMA töltőanyagai 2025 elején ismét elnyerték a DENTAL ADVISOR szaklap rangos „Top Product Awards” díját. Ez a megtiszteltetés ismét hangsúlyozza a japán gyártó kiemelkedő minőségét és innovációs erejét. Három viszkozitásával az OMNICHROMA család továbbra is a modern helyreállító fogászat középpontjában áll.

„Az OMNICHROMA abszolút gamechanger a fogászatban” – dicsérték a DENTAL ADVISOR független szakértői. Külön kiemelték a kiváló színillesztést, amely feleslegessé teszi a színválasztási folyamatot, valamint

SZÍN A FÉNYBŐLVÉGTELENLEHETŐSÉGEK

az egyszerű alkalmazást és a természetes, esztétikus eredményt. Különösen az OMNICHROMA FLOW-t dicsérték, amely sokoldalúságának köszönhetően tökéletes kiegészítést jelent minden kavitás számára.

Ezenkívül a TOKUYAMA termékei, a BOND FORCE II, egy egykomponensű, önmaró ragasztó, és a SHIELD FORCE PLUS, egy dentinlezáró anyag, ismét megkapták a „Preferált termékek” címet. Ezek az elismerések hangsúlyozzák a japán gyártó széles termékválasztékának kivételes minőségét és hozzáadott értékét. www.tokuyama-dental.eu/hu/ omnichroma

Smart Chromatic Technology –A fehér 1000 árnyalata

Strukturális szín mesterséges színpigmentek nélkül: fokozatmentesen illeszkedik minden fogszínhez A1-től D4-ig

BisGMA-mentes összetétel: a jobb biokompatibilitás érdekében

Egyszerű készletezés: csupán1 szín elegendő a gazdasági fenntarthatósághoz

Samples & More

Egyértelműen felismerhető a SEM-felvételen: az OMNICHROMA gyöngyszerkezete a hagyományos módon zúzott részecskékhez képest.

tokuyama-dental.eu

oldalról
Dr. Yassine Harichane

Környezetbarát fogászat:

A fenntartható fogászat egyik legfontosabb kihívása a gazdasági kényszerek és a környezetbarát gyakorlatok közötti egyensúly megteremtése. (Kép: elenavolf/Shutterstock)

Online magazinok

Fraser Macdonald, Dental Tribune International

Mivel bolygónk ökológiai állapota egyre csak romlik, a fogorvosi szakma minden területén érdemes, sőt be is kell építeni a környezettudatos gondolkodást. Az elmúlt években komoly lépéseket tettek meg a szakemberek az egészségügyi szektor fenntartható átalakítására irányuló erőfeszítések érdekében. Nem csak a rendelőben található használati eszközökkel, hanem az olyan közvetett környezeti hatásokkal is foglalkoznak, mint például a rendelésre való utazás és az onnan való távozás. Míg a fenntartható megközelítés kétségtelenül egyre elfogadottabb, az, hogy a környezetbarát fogászat hogyan illeszkedik egy olyan gazdasági modellhez, amely a profitot és a költséghatékonyságot tartja előnyben, sokkal kényesebb kérdés, amely kompromisszumot és pragmatizmust követel a fogorvosoktól.

Közlekedés javítása a környezetbarát fogászat érdekében

Az emberek többsége a fogorvoshoz való utazás során benzinüzemű járművel teszi meg útját. Ennek a megtett útnak komoly jelentősége van, amely messze túlmutat a fogászati ellátáson. A Public Health England által az Egyesült Királyság fogászatáról készített jelentés szerint a fogorvosi rendelőkkel kapcsolatos tevékenységek közül a járművel történő utazás – mind a személyzet, mind a páciensek esetében – a legnagyobb szén-dioxid-kibocsátással járó tevékenység, amely a teljes kibocsátás 33,4%-át, illetve 31,1%át teszi ki. Ezt a kanadai montreali McGill Egyetem kutatóinak projektje is megerősíti. Prof. Christophe Bedos, a Fogorvostudományi és Szájegészségügyi Kar professzora kijelentette: „Minden, amit teszünk, kibocsátáshoz vezet. A fogászatban az egyik legnagyobb bűnös a közlekedés. A páciensek klinikára és vissza utazása a szén-dioxid-kibocsátás közel egyharmadát teszi ki.”

Ennek ökológiai enyhítésére számos stratégia áll rendelkezésre. A legkézenfekvőbb a teledentisztika alkalmazása a személyzet és a betegek utazásának csökkentése érdekében. Bedos professzor szerint a digitális technológiák döntő szerepet játszanak ebben a váltásban. „Képzelje el, hogy eltávolítottak egy fogat. Ahelyett, hogy visszatérnénk a klinikára egy ellenőrzésre, ezt megtehetnénk a Zoomon vagy telefonon keresztül.” További új kezdeményezések közé tartozik az aktív utazást – például a kerékpározást vagy a gyaloglást – elősegítő intézkedések bevezetése a sze -

mélyzet és a betegek számára, ahol csak lehetséges. Valamint a tömegközlekedés és az elektromos járművek használatának ösztönzése.

Hulladékkezelés a rendelőben

A fogorvosi rendelőből származó hulladék kezelése, beleértve a vízhulladékot is, szintén a fenntartható fogászat egyik kulcsfontosságú dimenziója. Ahogy a fenntarthatósággal kapcsolatos tudatosság egyre inkább elterjedt a társadalomban, a fogászati anyagok, például az amalgám ártalmatlanítása által okozott környezeti károk nemcsak a klinikai, hanem a kormányzati figyelmet is felkeltették. Amint arról a Dental Tribune International beszámolt, az Európai Parlament tavaly az amalgám teljes betiltását kezdeményezte, amely intézkedés 2025. január 1-jén lépett hatályba. Az ilyen előírások betartása mellett a fogászati klinikák számos egyszerű, de hatékony intézkedéssel minimalizálhatják a hulladéktermelésüket.

A digitális technológiák nagymértékben csökkentik a lenyomatkészítő minták és a fizikai formák szükségességét. Gyakorlatilag megszüntetik például a páciensek nyilvántartásának fizikai másolatainak szükségességét. A rendelők továbbá bevezethetik az újrahasznosítást is a környezetbarát fogászat érdekében. A rendelő személyzete megfelelően elkülönítheti a klinikai és nem klinikai hulladékot. Emellett az élelmiszer-hulladékot olyan intézkedésekkel kezelhetik, mint a komposztálás.

Energiahatékony technológiák bevezetése a rendelőben

A harmadik fő terület, amelyet a fogászati rendelők az ökológiai hatások csökkentésének érdekében tehetnek, az energiahatékonyság. Az elsődleges folyamat a rendelő hatékonyabb technológiákkal történő utólagos felszerelése. Az első fontos lépés az energiaaudit elvégzése, amelynek során szisztematikusan feltérképezik a rendelő teljes energiafelhasználását. Innen kiindulva bizonyos területeket célzottan lehet javítani. Ez kezdetben új fűtési, szellőztetési és légkondicionáló rendszerek bevezetését jelentheti. A praxisok fontolóra vehetik a meglévő fogorvosi berendezések energiahatékonyabb megoldásokra történő cseréjét is. Lehetőség van házon belüli energiatermelésre is, leginkább napenergia segítségével.

Az utolsó terület, amelyet figyelembe kell venni, a megelőző szájápolás. Az ilyen intézkedések mostanra már jól ismertek a fogászati ágazatban. Fontos a hatóságokkal való partnerség az olyan kezdeményezések

hirdetés

előmozdítása érdekében, mint a közösségi víz fluoridálási programjai, valamint a kisgyermekek felügyelt fogmosási programjai azokon a területeken, ahol a szájbetegségek és a rossz szájüregi egészség kockázati tényezői a legnagyobbak.

Nehézségek a környezetbarát fogászat bevezetésében

A fenntarthatóságot célzó minden egyes stratégiának megvannak a maga idő- és pénzbeli kötelezettségvállalásai. Ezek közül néhány intézkedés túlzottnak tűnhet. Bár, a környezetbarát fogászat bevezetése elvárásnak tűnhet egyesek részéről, és olyan gazdasági kompromisszumot jelenthetnek, amelyet a rendelők többsége nem akar vagy nem tud megvalósítani. A Dental Tribune Internationalnek nyilatkozva dr. Nicolas Martin, az angliai Sheffieldi Egyetem helyreállító fogászat professzora, és a fenntartható fogászat egyik vezető kutatója rávilágított erre a kérdésre. „A kihívást az jelenti, hogy egyénekként hajlamosak vagyunk arra, hogy elválasszuk a környezettel kapcsolatos társadalmi felelősségünket a szakmai, munkával kapcsolatos kötelezettségeinktől. Ez utóbbiak többnyire arra összpontosítanak, hogy egy eredményt költséghatékony módon érjünk el. A környezetvédelmi polgársággal kapcsolatos aggodalmak pedig másodlagossá vagy feleslegessé válnak.”

Az, hogy ez a profitra való összpontosítással jár-e vagy sem, Martin professzor számára inkább tűnik szemléletbeli, mint pénzügyi kényszernek. „A szájüregi betegségek megelőzése az általunk ellátott lakosság segítésének legfontosabb és leghatékonyabb módja. Ugyanakkor – nem szándékolt következményként – a legnagyobb környezeti előnyökkel is jár. Mégis, a különböző jogi és pénzügyi keretek, amelyek között a fogorvosi szakma világszerte működik, figyelmen kívül hagyják ezt a megközelítést, és erőfeszítéseiket az operatív kezelések díjazására összpontosítják. A megoldás oly kézenfekvőnek tűnik, mégis elérhetetlennek!” Ebből a szempontból tehát a szájegészségügyre és a betegek értelmes ellátására helyezett klinikai hangsúly, szemben a kizárólagos profitter-

meléssel, a leghatékonyabb eszköz a fenntartható, etikus és gazdaságilag szilárd praxis bevezetésére.

Szabályozási keretek eltérése

Egy utolsó és fontos pont van hátra, ami a környezetbarát fogászat szabályozási kereteinek nagyfokú eltérését érinti, különböző országok között. Az Európai Parodon -

tológiai Szövetség tavalyi jelentése megjegyezte: „Az olyan országok, mint Svédország és Németország, erős szabályozási keretekkel rendelkeznek, amelyek elősegítik a fenntarthatóságot, megkönnyítve a fogorvosi rendelők számára a zöld technológiákba való beruházást. Ezzel szemben a dél- és kelet-európai országok még mindig küzdenek a gazdasági korlátokkal és a kevésbé szigorú környezetvédelmi szabályozásokkal. Ezekben a régi-

ókban a helyi erőfeszítések és kezdeményezések kulcsfontosságúak a fogászati ellátás fenntarthatóságának előmozdításában.”

Ez a passzus rávilágít minden fenntarthatósági kezdeményezés egyik alapvető elemére, nevezetesen arra, hogy milyen szabályozási könnyedséggel vagy nehézséggel lehet azt megvalósítani. Az erős politikai keretekkel rendelkező országokban a környezetbarát gya-

korlatok irányába való elmozdulás nemcsak támogatásokkal ösztönözhető, hanem fel is gyorsítható. Míg azokban az országokban, ahol ilyen irányelvek hiányoznak, az egyre fenntarthatóbbá válás nemcsak teljes mértékben a rendelő felelőssége lehet, hanem pénzügyi szempontból egyre korlátozóbbá is válhat. A nagyobb fenntarthatóságra való áttérés a fogászatban tehát kiemelkedő fontosságú, de számos kihívással és akadállyal is jár.

hirdetés
Dr. Nicolas Martin, az angliai Sheffieldi Egyetem restauratív fogászatának profeszszora. (Kép: Dr. Nicolas Martin)

Női szájhigiénikusok kerültek fókuszba egy új tanulmányban

Dental Tribune International

A nyugati társadalmak egyre inkább szembesülnek a történelmüket megfertőző egyenlőtlenségekkel, így a nők rendszerszintű hiányosságainak kezelése különösen fontos kérdéssé vált. Ez a figyelem most kezdi elérni a fogorvosi közösséget is, ahol gondosan mérlegelik azokat az egyedi

kihívásokat, amelyekkel a nők szembesülnek ebben az orvosi szférában. Ennek a kulcsfontosságú kutatási iránynak a kiterjesztése érdekében egy különleges szakmai találkozót

tartottak az Amerikai Dental-, Oralés Craniofacialis Kutatási Szövetség (AADOCR) 2024-es éves találkozóján a nők fogászati klinikai kutatásokban való részvételének témájában.

AZ ÍZESÍTÉS PROBLÉMÁJA A DOHÁNYZÁSI ÁRTALOMCSÖKKENTÉSBEN

Mígegyesországokbanazéghetőcigarettafüstmentesalternatíváikéntismerte-cigarettákhatalmaslegáliskínálataérhetőel, addig vannak országok, ahol az ízesítések betiltására alakultak ki tendenciák. Konstantinos Farsalinos, a dohányzási ártalomcsökkentés nemzetközileg elismert kutatóorvosa a 7. Summit on Tobacco Harm Reduction konferencián beszélt arról, hogy tudományos bizonyítékok alapján megalapozott-e az ízesített e-cigarettáktól való félelem.

Konstantinos Farsalinos 2011 óta foglalkozik vezető kutatóként a dohányzással és a dohányzási ártalomcsökkentéssel kapcsolatos laboratóriumi, klinikai és epidemiológiai kutatásokkal. A Web of Science már 2019-ben a legtöbbet idézett kutatók közé sorolta. Számos klinikai vonatkozással rendelkező tudományos publikáció mellett, nevéhez fűződik az első, az e-cigaretták biztonsági-kockázati profilját vizsgáló szisztematikus irodalomkutatás (2014) is. Előadásában ezúttal azokat az irodalomkutatásokat ismertette, melyek szerint nem igazolódik az ízesített füstmentes nikotintartalmú termékek „kapudrog” jellege a dohányzás irányába.

Farsalinos elsőként egy 2021-ben publikált vizsgálat részeredményeit1 ismertette, mely szerint a sosem dohányzó amerikai fiatalok 91,4-95,8%-a nem használt e-cigarettát, és mindössze 0,14-0,48% volt mindennapos fogyasztó.2 Az ezt követő évekre nézve pedig a CDC adataiból3 is kitűnik, hogy a cigaretta népszerűsége jelentősen csökkent a fiatalok körében: míg 2011-ben 15,8%, 2019-ben ezen alternatívák népszerűségének csúcsán pedig az amerikai középiskolások 5,8%-a használt cigarettát, ez az arány 2023-ra 1,9%-ra esett vissza. Farsalinos ezt a változást drámai csökkenésnek nevezte, ami arra utal, hogy a következő generáció már egy füstmentes generáció lesz. Ez a trend, amely a 2020-as években további gyorsulást mutat az Egyesült Államokban, egyértelműen arra utal – mondta az előadó – hogy a füstmentes alternatívák nem működnek a dohányzás kapudrogjaként.

Egy 104 tanulmányt összesítő szisztematikus irodalomkutatás4 szerint a különböző ízesített termékek a dohányzó, illetve egykor dohányzó felnőttek számára vonzóbbak, mint a hagyományos cigaretta, ami Farsalinos szerint a leszokástámogatás fényében előnyt jelent: a dohányosoknak pont arra van szükségük, hogy valami kiszorítsa a cigarettát, ha eddig nem tudtak leszokni róla. Maguk a szerzők is konklúzióként megjegyzik, hogy „a különböző ízű e-cigaretták elérhetősége előmozdíthatja a cigaretta teljes helyettesítését. A jövőbeni e-cigaretta szabályozásnak figyelembe kell vennie ezt a hatást azokra a dohányzókra nézve, akik számára az e-cigaretták leszokástámogató vagy ártalomcsökkentő szereppel bírhatnak.”

Egy másik tanulmány5 azt vizsgálta, hogy 5 év alatt hogyan alakultak az ízpreferenciák e-cigarettát használó felnőtteknél. A publikáció szerint a dohány és mentol népszeűsége 40%-ról 22%-ra csökkent, a gyümölcsös ízekréstagnált (23%), a csoki/ cukorkás/egyéb édesség ízeké pedig 16%-ról 29%-ra nőtt. A használók közül szinte mindenki (98,2%) rendszeresen többféle ízesített e-cigarettát is használt, és mindössze a megkérdezettek tizede (11,2%) preferálta a dohány ízét. Farsalinos egyik legfrissebb publikációja6 pedig 69 233 felnőtt bevonásával mérte fel az ízesített alternatívák jelentőségét egy keresztmetszeti vizsgálatban. A résztvevők 68,2%-a arról számolt be, hogy több mint 12 hónappal a vizsgálat előtt, míg további 13,1% a vizsgálati időszakot megelőző 12 hónapon belül hagyta abba a cigarettázást. Ami azt jelenti, hogy a vizsgált minta 81,3%-a e-cigarettára váltott a hagyományos cigarettáról (n=51 641). A vizsgálati minta mindössze 5,2%-a számolt be arról, hogy az e-cigaretta használata előtt nem cigarettázott. A korábban cigarettázók nagy többsége (91,8%, a vizsgálati minta 74,6%-a) arról számolt be, hogy e-cigarettát használt a cigarettázásról való leszokás idején. Az e-cigaretta használat megkezdésekor az átlagéletkor 28 év volt (21–37 év) volt. A cigarettázásról való leszokás idején a legelterjedtebb íz a megkérdezettek

körében ismét a gyümölcs volt (83,3%), ezt követték a desszert//sütemény (68,0%) és a cukorka/csokoládé/édes ízek (44,5%). Farsalinos és munkatársai szerint ezek az ízek bizonyultak a leginkább segítőnek a cigarettázásról való leszokásban. Ezzel szemben a vizsgálat idején a cigarettáról váltók mindössze 2,1%-a preferálta a dohány-, és 2,5% a mentol ízeket az e-cigarettában. Ez a vizsgálat tehát megerősítette egy 2013-ban publikált felmérés eredményeit, mely szerint a cigarettáról váltók sokkal inkább választanak NEM-dohány ízű alternatívát.7 Emellett megjegyzendő az is, hogy mindkét vizsgálat arra az eredményre jutott, hogy a hagyományos cigarettáról e-cigarettára váltók jellemzően különböző ízű termékeket fogyasztanak párhuzamosan.

Két másik vizsgálat szerint, melyekre Farsalinos szintén hivatkozott, az édes ízeket használók jelentősen nagyobb eséllyel váltanak a cigarettáról, mint a dohány vagy mentol ízeket használók. Az egyik vizsgálat szerint 60%-kal nagyobb eséllyel8, a másik szerint pedig több mint kétszer nagyobb eséllyel.9

Mindezekből kitűnik – mondta az előadó – hogy olyan kiegyensúlyozott szabályozásra van szükség, amely kellőképpen megengedő a csökkentett kockázatú (kevésbé toxikus) alternatívák használatában. Mint hangsúlyozta, ha az a cél, hogy egy közismerten rendkívül káros szokásról egy kevésbé ártalmas szokásra váltsanak a használók, akkor nem szabad félni attól, hogy egy ilyen alternatíva vonzóbb az érintettek számára; azért sem, mert a hagyományos nikotinpótló terápiák sokkal alacsonyabb népszerűsége és kihasználatlansága közismert tény, azaz jelentősen kisebb népegészségügyi hasznot hoznak, mint egyes füstmentes alternatívák (pl. a széleskörben elfogadott snüssz a skandináv országokban, amellyel Svédország gyakorlatilag füstmentessé vált, ezzel jelentős népegészségügyi hasznot hozva).

Végezetül egy hatásbecslő vizsgálatról volt szó, mely során Cadham és munkatársai (2022) az ízesítés betiltásának várt és valós eredményeit vizsgálta10 30 tanulmány összegzésével. Az eredmények önmagukért beszélnek: az érintett országokban alig valahol lehetett a hagyományos cigaretta és e-cigaretta fogyasztás csökkenését mérni; sőt, az ízek betiltása mellett több esetben újra emelkedni kezdett a hagyományos cigaretta fogyasztása, valamint nőtt a feketepiaci és az online kereslet az illegálissá vált alternatívákra. Az online beszerzést ráadásul a közös gazdasági térségekben nem is lehet hatékonyan szabályozni.

Az ízesített füstmentes nikotin- és dohánytermékek tehát vonzó alternatívaként szolgálnak a cigarettával szemben, ami fontos előrelépés lehet a tartósan dohányzó felnőttek viselkedésváltozásában. Éppen ezért Farsalinos is szorgalmazza az olyan szabályrendszerek kialakítását, amelyek a valós kockázattal arányosan ítélik meg ezeket az alternatívákat. Nem egyszerűen azért, mert egyre több bizonyíték támasztja alá ezeknek a cigarettázásról való váltásban játszott szerepét és ártalomcsökkentő potenciálját, hanem azért is, mert a teljes tilalom – úgy néz ki – éppen az ellenkező hatást éri el: cigarettára történő visszaszokást eredményezhet, akadályozhatja a leszokást, valamint ellenőrizhetetlenné teheti az így kialakuló illegális és online piacokon megjelenő termékek minőségét és biztonságosságát. Ezek pedig nem kívánt hatások. A Dohányzás Visszaszorításának és az Ártalmak Csökkentésének Nemzetközi Szövetsége (SCOHRE) által szervezett konferencia előadásai online visszanézhetőek.11

Források: 1, Farsalinos, K. (2024) The Case of Flavours in Tobacco Harm Reduction. 7th Summit on Tobacco Harm Reduction https://projector-web.gr/Mindview/ en/7thsummit/videos-on-demand/17904/the-case-of-flavours-in-tobacco-harm-reduction 2, Farsalinos, K. et al. (2023) Patterns of flavored e-cigarette use among adult vapers in the USA: an online cross-sectional survey of 69,233 participants. Harm Reduct J 20, 147 https://doi.org/10.1186/s12954-023-00876-w

A cikk társadalmi felvilágosítás céljából létrejött, reklámcélokat nem szolgáló tájékoztatás, megrendelője a Philip Morris Magyarország Kft. Hivatkozások: [1] https://onlinelibrary.wiley.com/doi/abs/10.1111/add.15162 [2] Farsalinos et al., 2021 Addiction - https://onlinelibrary.wiley.com/doi/full/10.1111/add.15162 [3] https://www.cdc.gov/mmwr/volumes/65/ss/ss6506a1.htm [4] Gades et al., 2022 Nicotine Tob Res - https://pmc.ncbi.nlm.nih.gov/articles/PMC9356694/ [5] Du et al., 2020 Ann Am Thorac Soc [6] https://doi.org/10.1186/s12954-023-00876-w [7] Farsalinos et al. 2013 Int J Environ Res Public Health - https://www.mdpi. com/1660-4601/10/12/7272 [8] Li et al. 2021 Nicotine Tob Res - https://pmc.ncbi.nlm.nih.gov/articles/PMC8500174/ [9] Friedman és Xu, 2020 JAMA - https://pmc.ncbi. nlm.nih.gov/articles/PMC7275248/ [10] https://pmc.ncbi.nlm.nih.gov/articles/PMC9675183/ [11] https://projector-web.gr/Mindview/en/7thsummit/videos-on-demand

Régóta esedékes a női szájhigiénia témája

A kétnapos találkozón, amelyet dr. Alexandre Vieira, az AADOCR korábbi elnöke szervezett, megvitatták, hogy számos biológiai, genetikai, fiziológiai és kulturális tényező hogyan alakítja a női szájhigiénikusok tapasztalatait. Azzal a céllal, hogy elősegítse a fogászati, szájés craniofaciális-tudósok számára releváns női kérdések kutatását. A találkozó legfontosabb pontjai az Advances in Dental Research új számában kristályosodtak ki, amely a Journal of Dental Research melléklete.

A tanulmány célja, hogy felhívja a fogorvosi közösség figyelmét a nők szájhigiéniával kapcsolatos egyedi kihívásaira. (Kép: PeopleImages.com - Yuri A/Shutterstock)

A Dental Tribune Internationalnek nyilatkozva dr. Vieira kiemelte a találkozó időszerűségét és az ebből születő tudományos cikket. „Úgy gondolom, hogy a téma kezelésének szükségessége már régóta esedékes volt. A COVID-járvány még drámaibb módon tárta fel az egyenlőtlenség következményeit, amelyek nem korlátozódnak a betegellátás minőségének hiányosságaira, hanem magukban foglalják a nők képviseletének hiányát a vezetésben. Valamint az egészségügyi rendszerre gyakorolt negatív hatást a nőkre nehezedő aránytalan terhek miatt.”

Jobban oda kell figyelni a szakmai kiégésre

Ezeknek a kérdéseknek az előtérbe helyezése az akadémiai kutatásban és az ipari diskurzusban szintén kulcsfontosságú tényező a változás megteremtéséhez. Dr. Vieira szerint a klinikai élet azon nézőpontja, amelyet a legnagyobb valószínűséggel befolyásolhatnak az előtérbe került tényezők, pozitívan hatnak a páciensek életminőségére és problémáinak megértésére.

„Jobban meg kell vizsgálnunk a nőket a vezetésben, és ezzel együtt enyhítenünk kell a munkaerőhiányt. Jobban meg kell értenünk és fejlesztenünk kell a kiégés témakörét, amelyek különösen a nőket érintik. Emellett elő kell mozdítanunk a társadalmi méltányosságot és biztosítanunk kell a minőségi ellátáshoz való hozzáférést” – folytatta. A rendkívüli találkozó fontos mérföldkő a nemek és a nők kérdéseinek reflektorfénybe helyezésében a fogorvosi közösségen belül, és szilárd platformot teremtett a jövőbeni kutatásokhoz ezen a területen.

Seize the opportunity to achieve Dental Excellence in leading fields of dentistry and target sustained success in your practice. Orthodontics

Postgraduate University Programmes

Master of Science (Continuing Education) – MSc (CE) at Danube Private University (DPU) – Programmes taught in English –

Start: 30 June 2025

Start: 1 September 2025

Turn static files into dynamic content formats.

Create a flipbook
Issuu converts static files into: digital portfolios, online yearbooks, online catalogs, digital photo albums and more. Sign up and create your flipbook.