Dental Tribune 2025/1

Page 1


Budapest, 2025. feBruár

The World‘s Dental Newspaper

GYAKORLÓ FOGORVOS AJÁNLJA

A fenti esetek jól példázzák, hogy a digitális kezeléstervezés révén bemutatásra kerülő kezelési alternatívák milyen hatékonyan segítik elő a páciensek esztétikai igényeinek előre jól megjósolható végeredménnyel járó kielégítését.

Új kutatási cikk a nők fogászati egészségét helyezi reflektorfénybe

Dental Tribune International

Ahogy a nyugati társadalmak egyre inkább megbirkóznak a történelmükre jellemző egyenlőtlenségekkel, a nőket érő szisztematikus hátrányok kezelése különösen fontos kérdéssé vált. Ez a politikai diskurzus most kezd eljutni a fogászati közösségbe is, ahol a nők által az orvosi szférában tapasztalt egyedi kihívások kezdtek alapos figyelmet kapni. Ezt a fontos kutatási irányvonalat igyekeztek kiterjeszteni, ezért az Amerikai Fogászati, Száj- és Craniofaciális Kutatási Társaság (AADOCR) 2024-es éves ülésén külön ülést tartottak a nők szerepéről a fogászati klinikai és transzlációs kutatásban.

Az AADOCR korábbi elnöke, dr. Alexandre Vieira szervezésében a kétnapos találkozó azt vizsgálta, hogy a biológiai, genetikai, fiziológiai és kulturális tényezők hogyan alakítják a nők szájüregi egészséggel kapcsolatos tapasztalatait, azzal a céllal, hogy elősegítse a fogászati, szájüregi és koponyacsont- és állkapocs-szakértők számára releváns, a nőkkel kapcsolatos aktuális kutatásokat. A találkozó legfontosabb megállapításait a Journal of Dental Research mellékleteként megjelenő Advances in Dental Research új számában foglalták össze. A Dental Tribune Internationalnek nyilatkozva dr. Vieira a találkozó és az abból született cikk időszerűségéről beszélt: „Véleményem szerint a témával való foglalkozás szükségessége már régóta esedékes. A COVID-járvány még drámaibban rávilágított az egyenlőtlenségek következményeire, amelyek nem korlátozódnak a betegellátás minőségében mutatkozó hiányosságokra, hanem magukban foglalják a nők vezetésben való képviseletének hiányát és a nőkre nehezedő aránytalan terheknek az egészségügyi rendszerre gyakorolt negatív hatását is”. E kérdések előtérbe helyezése az akadémiai kutatásban és az iparági diskurzusban szintén kulcsfontosságú eszköz a gyakorlati, megélt változások létrehozásához a klinikai környezetben. Dr. Vieira szerint a klinikai élet azon aspektusa, amelyre a legnagyobb valószínűséggel pozitív

A tanulmány célja, hogy felhívja a fogorvosi közösség figyelmét a nők szájhigiéniával kapcsolatos egyedi kihívásaira. (Kép: PeopleImages.com - Yuri A/Shutterstock)

hatással lehet, a betegek eredményei, amelyeket – mint hangsúlyozta – nemcsak a halálozás vagy a morbiditás, hanem az életminőség és a betegközpontú kérdések is mérnek. „Ezért több nőt kell megfigyelnünk a vezetésben, a munkaerőhiány enyhítését, a kiégés elleni beavatkozások jobb megértését és fejlesztését, ami különösen a nőket érinti, valamint a társadalmi egyenlőség és a minőségi ellátáshoz való hozzáférés szélesebb körű javulását” – folytatta.

A rendkívüli találkozó fontos mérföldkövet jelent abban, hogy a nemek és a nők kérdései a fogászati közösségen belüli viták középpontjába kerültek, és szilárd platformot teremtett az e területen folytatott jövőbeli kutatások számára.

A „Women in dental clinical and translational research” című tanulmányt az Advances in Dental Research 2024. novemberi számában tették közzé. DT

IRÁNYVONALAK, ALKALMAZÁSOK

„A jövőbeli kutatásoknak arra kell összpontosítaniuk, hogy ezeket a prediktív tényezőket nagyobb populációkban érvényesítsék, és olyan beavatkozásokat vizsgáljanak meg...

A fogászati

SZÍNES HÍREK A NAGYVILÁGBÓL

George Bernard Shaw Az orvos dilemmája című színdarabját idézve Johns professzor azt mondta: „Az értelmes ember alkalmazkodik a világhoz: az észszerűtlen kitartóan próbálja a világot önmagához igazítani.” Brånemark professzor, tette hozzá, valóban az utóbbi volt.

ellátás környezeti hatásait vizsgálta a Semmelweis Egyetem

Erdélyi Angelika

Naponta több mint ötven zsák, vagyis csaknem hatvan kiló veszélyes hulladék keletkezik a Semmelweis Egyetem Fogorvostudományi Karának Oktatási Centrumában, ahol több mint hatszáz beteget látnak el naponta. Egy speciális munkacsoport azt vizsgálja, hogyan lenne csökkenthető a környezeti ártalom. A szakemberek arra is figyelmeztetnek, hogy nemcsak a kezeléseknél, hanem a megelőzésben is fontos szerepe lehet a környezettudatos döntéseknek.

A Health Care Without Harm nevű nemzetközi nonprofit szervezet adatai szerint az egészségügyi rendszerek globálisan az üvegházhatású gázkibocsátás 4,4 százalékáért felelnek, ezen belül a fogászati kezelésekből származó kibocsátás 2-5 százalékra tehető.

„Ez leginkább a kezelésekre történő utazásokból, ingázásból, a beszerzésekből, az ellátás során felhasznált energiából, illetve a keletkező hulladékból és annak kezeléséből adódik össze” – mondja dr. Demeter Tamás, a Semmelweis Egyetemen 2021-ben

alakult Munkacsoport a Környezettudatos és Fenntartható Fogászatért egyik vezetője.

Az egyetemi adjunktus hozzáteszi: a szakirodalmi adatok szerint évente 5,9 millió tonnányi hulladék keletkezik az egészségügyben világszerte, ebből Magyarországon 80 ezer. A teljes hulladékmennyiség körülbelül 15 százaléka veszélyes, melynek megsemmisítése speciális eljárással történik, ennek pedig nemcsak a költsége számottevő, de sok energiát igényel és növeli a károsanyag-kibocsátást.

átlagosan csaknem 60 kilónyi veszélyes hulladékkal.

A munkacsoport korábban úgynevezett hulladékauditot végzett a Semmelweis Egyetem Fogorvostudományi Karának Oktatási Centrumában, ahol hét osztályon körülbelül négyszázan dolgoznak és naponta átlagosan 642 beteget látnak el. A vizsgált három napban 168 szemeteszsák gyűlt össze, naponta

Az egyéni védőfelszerelések aránya volt a legmagasabb (47%), azon belül pedig a gumikesztyűké (65%) és a nyálkendőké (17%). Majd a papír és nedves törlőkendők következtek (22%), ezután pedig a speciális fogászati hulladékok (12%) és az ” 3. oldal

Dr. Demeter Tamás.

egyszer használatos műanyag eszközök (10%).

A munkacsoport célja, hogy az audit során nyert adatok elemzésével csökkenteni tudják a veszélyes hulladék mennyiségét, és felhívják a figyelmet a tudatosabb eszközhasználatra.

Számításaink szerint a többször használatos, sterilizálható nyálkendők és tálcák bevezetésével naponta több mint 7 kilóval kevesebb szemét termelődne. A sterilizáló csoma-

golások tudatosabb használata 2,3 kilogrammal csökkenthetné a napi hulladékmennyiséget, és a gumikesztyűk használatára is oda kell figyelni, főleg a fogorvostan-hallga-

tók körében, ahol a kesztyűk használatát kiugróan magasnak találtuk – magyarázza dr. Márton Krisztina egyetemi tanár, a Semmelweis Egyetem Propedeutikai Tanszékének igazgatója, a munkacsoport társvezetője.

A Fogorvostudományi Kar vizsgálja a lehetőségeket, hogy a tanulmány eredményét mikortól és milyen módon tudják átültetni a napi gyakorlatba.

A szakemberek szerint azonban a fogászat fenntarthatóbbá tételében a legnagyobb szerepe a megelőzésnek lehet, hiszen minél jobban odafigyel valaki a szájápolási szabályok betartására, annál kisebb a veszélye a fogászati betegségek, így a fogszuvasodás, a fogágybetegség és a

szájüregi daganatok kialakulásának, amivel a fogászati ellátások száma is csökkenthető.

A környezettudatos választások pedig már az otthoni szájápolás szintjén is megvalósíthatók.

„Egy korábbi kutatás szerint például az elektromos fogkefék környezeti lábnyoma messze meghaladja a manuális fogkefékét. Utóbbiak közül pedig érdemes a cserélhető fejű műanyag vagy bambusz fogkefét választani, mert a termékek teljes életciklusát tekintve ezek bizonyultak a legkevésbé ártalmasnak a környezetre – tanácsolja dr. Demeter Tamás.

A kiegészítő szájápolási eszközök közül a szájzuhany kevésbé javal-

lott, hiszen egy újabb elektronikus eszközről van szó, illetve nem megfelelő használatával a lepedék az ínybarázdába tolható ahelyett, hogy eltávolítanánk onnan. Érdemes inkább fogköztisztító kefével, vagy fogselyemmel tisztítani a fogközöket, melyből a hagyományos nejlon helyett akár választhatunk komposztálhatót – a lényeg, hogy ne rojtosodjon használat közben.

A fogkrémek közül az egyetemi adjunktus az organikus termesztésből származó gyógynövényalapú fogkrémeket preferálja, néhány alapkritériumot figyelembe véve. Például fontos, hogy tartalmazzon fluoridot, mely erősíti a fogzománcot.

„A tradicionális fogkrémek többféle konzerváló, állományjavító szert, kőolajipari melléktermékeket, például mikroműanyagokat tartalmaznak. Ezek nem megfelelő használat esetén irritálhatják a szájnyálkahártyát, illetve élővizekbe kerülve az ökoszisztémákat is károsíthatják. Nyilván kis mennyiségben nem veszélyesek, de érdemes inkább a

Új műfogsor technológia, melyet a polipok inspiráltak

A londoni King’s College Egyetem kutatói új műfogsor technológia fejlesztésén dolgoznak, mely a polip csápjainak tapadókorongjai által inspirált fogsortapadási rendszert mutatja be. Korábban már írtunk új megoldásokról műfogsort viselők számára. Ez az új technológia azonban megoldás lehet olyan páciensek számára, akiknek napi problémát jelent a fogsor rossz megtapadása nedves szájkörnyezetben.

A biológia ötvözése a legmodernebb műfogsor technológiákkal

A tanulmány az Octopus vulgaris megtapadási működésmechanizmusából merít ihletet, amelynek tapadókorongjai nedves és száraz körülmények között is kiválóan megtapadnak a felületeken. Az új műfogsor technológia mechanizmusát a kutatók úgy reprodukálták, hogy a tapadókorongok mikroarchitektúráját fejlett 3D nyomtatási technológiákkal, például kétfotonos polimerizáció és digitális fényfeldolgozás segítségével mutatták be. Az így kapott fogsorok polipszerű mik-

ro- és makrotopográfiával rendelkeznek, ezáltal fokozva a szájszövetekhez való tapadási képességüket.

Új műfogsor technológia a tapadás javítása érdekében

A tapadás javítása érdekében a felületeket keratinnal vonták be, amely a természetben előforduló, hidrofil és biokompatibilis tulajdonságairól ismert fehérje. A fizikai és kémiai módosítások kettős stratégiája jelentősen növelte a tapadási szilárdságot száraz és nedves körülmények között egyaránt. Figyelemre méltó, hogy a bioinspirált tapadókorong-kialakítások a hagyományos műfogsorokhoz képest jóval nagyobb maximális leválási erőt mutattak, még akkor is, ha kizárólag műfogsorragasztót használtak a kutatók.

Keratin és a természetes megtapadás vizsgálata

A tanulmány a keratinbevonatok tartósságát és a szájnyálkahártyával való kölcsönhatását is vizsgálta. A juhgyapjúból kivont keratin ellenállónak bizonyult az enzimatikus lebomlással szemben, és idővel megőrizte tapadó tulajdonságait. Fontos megemlítenünk az új műfogsor technológia kapcsán azt is, hogy a kutatás kiemelte a keratin egyedi kémiai összetételét, beleértve a ciszteinben gazdag diszulfidkötéseket. Ez az öszszetétel hozzájárul a kiváló megtapadáshoz, mivel erős kölcsönhatásokat alakít ki a nyálkahártya szöveteivel.

Javuló életminőség az

új műfogsor technológia innovációjának köszönhetően

Ez az új műfogsor technológia jelentős előrelépést jelent világszerte több millió fogsort használó páciens, a foghiányban szenvedő idősek és a fogászati implantátumokra való alkalmasságot korlátozó szisztémás betegségben szenvedő páciensek számára. A rosz-

sz műfogsorrögzítés gyakran kellemetlen érzéshez, beszéd- és étkezési nehézségekhez, valamint általános elégedetlenséghez vezet, ami befolyásolja a betegek életminőségét. A hagyományos megoldások, például a ragasztókrémek gyakran kényelmetlenek, nem higiénikusak, és hajlamosak rágás közbeni diszkomfort érzésre vagy akár az ízek megváltozására is.

A technológia eredménye

A kutatás eredménye a fogászaton kívül az orvostudomány más területein is kiválóan alkalmazhatóak. Például öntapadó orvosi eszközök, protézisek és nedves környezetre tervezett gyógyszeradagoló rendszerek kifejlesztésében. A természetes megtapadási stratégiák utánzásának képessége hatékonyabb és betegbarátabb megoldásokhoz vezethet a modern egészségügyi ellátásban.

A „Bioinspired Physico-Chemical Surface Modifications for the Development of Advanced Retentive Systems” című tanulmányt az Advanced Materials Technologies 2024. november 19-i számában online tették közzé, még a számba való felvétel előtt. DT

környezetbarát, természetes összetevőkkel rendelkező termékeket választani” – tette hozzá dr. Demeter Tamás.

Az adjunktus kiemelte, hogy a legnagyobb jelentősége a fogkefe minőségének és a tisztítási technikának van: a fog- és szájbetegségek megelőzésében a legfontosabb, hogy rendszeresen és alaposan tisztítsuk az ínybarázda területét és a fogközöket is.

Forrás: semmelweis.hu

Fotók: Barta Bálint, Zellei Boglárka –Semmelweis Egyetem

IMPRESSZUM NEMZETKÖZI SZÉKHELY

FELELŐS KIADÓ ÉS VEZÉRIGAZGATÓ: Torsten Oemus

TARTALOMÉRT FELELŐS IGAZGATÓ: Claudia Duschek

Dental Tribune International GmbH Holbeinstr. 29, 04229 Leipzig, Germany Tel.: +49 341 4847 4302 Fax: +49 341 4847 4173

Általános információ: info@dental-tribune.com

Hirdetésfelvétel: mediasales@dental-tribune.com www.dental-tribune.com

A Dental Tribune International GmbH azon anyaga, amelyet újra nyomtattak vagy lefordítottak és újból kinyomtattak ebben a kiadásban a Dental Tribune International GmbH szerzői jogi védelme alatt áll. Az ilyen anyagokat a Dental Tribune International GmbH engedélyével lehet csak közzétenni. A Dental Tribune a Dental Tribune International GmbH védjegye. Minden jog fenntartva. © 2025 Dental Tribune International GmbH. A Dental Tribune International GmbH előzetes írásbeli engedélye nélkül bármilyen módon, egészben vagy részben történő sokszorosítása kifejezetten tilos.

A Dental Tribune International mindent megtesz annak érdekében, hogy a klinikai információkat és a gyártók termékeiről szóló híreket pontosan adja közre, nem vállal azonban felelősséget a termékekről szóló állítások helytállóságáért vagy a nyomdahibákért. A kiadó nem vállal továbbá felelősséget sem a terméknevekért vagy -leírásokért, sem a hirdetők közleményeiért. A szerzők által kifejtett véleményt a sajátjuknak kell tekinteni, és azok semmi módon nem tükrözik a Dental Tribune International véleményét.

KIADJA: DP HUNGARY KFT. 1012 Budapest, Kuny Domokos u. 9.

FELELŐS KIADÓ: Laczkó Tamás

FORDÍTÓ: Laczkó Leonard

NYOMDAI ELŐKÉSZÍTÉS: DP Hungary Kft.

NYOMDAI KIVITELEZÉS: Copy & Consulting Kft.

ADATEGYEZTETÉS, INFORMÁCIÓ: Kiss Éden Aliz, 06-30-472-0030

HIRDETÉSFELVÉTEL: Laczkó Tamás, 06-30-472-0030 ISSN 1786-9889

“ 1. oldalról
A nyomtatott fogsor képe. (Kép: Kings College London)
Dr. Marton Krisztina.

Az alignerrel végzett kezelések határainak

tágítása

– multidiszciplináris kezeléstervezés

Bevezetés

Az alignerek megjelenése gyökeres változásokat hozott a páciensekkel történő kommunikációban. Klinikai szempontból pedig új képességeket adott a pácienseinknél fennálló elváltozások diagnosztizálására és a kezelések megtervezésére. Mindannyian tisztában vagyunk vele, hogy a szociális média és az információs társadalom korában a pácienseink által támasztott igények elsősorban az esztétika körül forognak. Az alignerek használatával járó digitális munkafolyamatok lehetővé tették a kezelést végző fogorvosok számára, hogy a különböző kezelési tervek várható végeredményét gyorsan és látványosan vizualizálja a páciensek számára. Ezen felül ez a technológia lehetőséget biztosít az orthodonciai, az esztétikai és a protetikai ellátást végző orvosok még szorosabb együttműködésére.

A legfőbb előnye mégis abban mutatkozik meg, hogy pontosan és valósághűen szimulálja az elérni kívánt állapotot, amely nagyban elősegíti a páciensek megfelelő kooperációját. Ezáltal lehetővé válik, hogy a páciens a kezelések megkezdése előtt elfogadja és megszeresse az elérni kívánt eredményt. Ez az emocionális kötődés a későbbiekben nagyon hasznos lesz a kezelés sikeressége szempontjából.

A kezeléseim során az AORTA (Aesthetic Orthodontic and Restorative Training Academy) elveit követem. Ezeknek a célja, hogy orthodonciai, esztétikai és protetikai elvek figyelembevételével olyan esztétikai és funkcionális szempontból kielégítő eredményeket tudjunk biztosítani, amelyek eléréséhez minimálinvazív fogászati és sebészeti beavatkozásokat alkalmaztunk (1. ábra). Az alkalmazott elveket három nagyobb területre lehet vonatkoztatni: 1. extraorális szempontok, 2. periorális szempontok, 3. intraorális (fogazati) szempontok.

Ebben a cikkben ínymosollyal, aszimmetrikus bukkális folyosóval és protetikai ellátási igénnyel ren-

delkező esetek alignerekkel történő kezelésének bemutatásán keresztül fogom ezen elvek gyakorlati alkalmazását demonstrálni. Ezek az esetek az AORTA kézikönyvben (AORTA Clinical Handbook) és az online AORTA kurzusokban (AORTA online continuing professional development course, www.aortaaustralia.com) is szerepelnek. A könyv és az online kurzus részben a saját, részben pedig Dr. George Abdelmalek munkásságán alapul.

Ínymosoly

Már a kezelés elején meg kell határoznunk, hogy van-e lehetőségünk az ínymosoly minimálinvazív módszerekkel történő kezelésére (alignerekkel végzett intrúzió, fogak kiépítése, gingivectomia, ajak- vagy arcfeltöltés, botox), vagy orthognáth sebészeti módszerekhez kell folyamodnunk. Az orthognáth sebészeti beavatkozásokra általában jelentős szkelettális és/vagy dentális eltérések esetében van szükség, ahol kifejezett vertikális és szaggitális eltérésekkel találkozunk. A digitális munkafolyamatokkal végzett kezeléstervezés mutatkozik jelenleg a páciensek által leginkább preferált módszernek, akik lehetőség szerint a minimálinvazív módszerekkel szeretnék az ínymosolyuk megszüntetését elérni. A legideálisabb terápia meghatározása során nem szabad csak az orthodonciai kezelések spektrumán belül gondolkodnunk. A kamuflázs kezeléseknek, a multidiszciplináris ellátásnak, az arc esztétikájának megváltoztatásának és a protetikai kezeléseknek is szerepet kell kapniuk a repertoárunkban. Régen elmúltak már azok az idők, amikor a páciensek csak a hagyományos rögzített készülékkel végzett fogszabályzó és az ezt kiegészítő orthognáth sebészeti kezelés elfogadása vagy egyéb opció hiányában a kiindulási állapot fenntartása közül választhattak. Az ínymosoly kezelésére három, az AORTA elveknek megfelelő kezelési protokoll (egyszerű, közepes, komplex) áll rendelkezésünkre. Ezeket követve jól megjósolható végeredménnyel tudjuk az ínymosolyt kezelni. A beavatkozások során

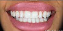
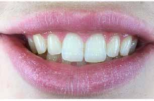
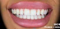
2. ábra: A páciensről készített kiindulási felvétel. A kezeléstervezést ezen fotó alapján végeztük. – 3. ábra: A páciens mosolyáról készített közeli felvétel. – 4. ábra: A digitális kezeléstervezés során az Invisalign szoftverben a kiindulási (kék) és a végső állapotot (fehér) egymásra vetített formában figyelhettük meg. – 5. ábra: Az orthodonciai kezelés befejezésekor készített felvétel. – 6. ábra: A páciens mosolyáról az orthodonciai kezelés befejezését követően készített közeli felvétel. – 7. ábra: A lágyrészplasztika mértékének digitális módszerekkel történő meghatározása. – 8. ábra: A digitálisan megtervezett sebészi sablonról készített felvétel. (PRO 4K nyomtató, Zendura termoplasztikus anyag). – 9. ábra: A gingivectomia elvégzését követően készített felvétel. – 10. ábra: A páciens mosolyáról a gingivectomia elvégzését követően készített közeli felvétel. – 11. ábra: A páciensről a gingivectomia, fogfehérítés és direkt kompozit felépítés elvégzését követően készített felvétel. – 12. ábra: A páciens mosolyáról a gingivectomia, fogfehérítés és direkt kompozit felépítés elvégzését követően készített közeli felvétel.

3 mm-rel tudjuk a felső frontfogakat a felső állcsontba intrudálni. A kezelés azon alapszik, hogy intrúzió esetén az ínylefutás a zománc-cement határt fogja követni. A kezelést végző orvosnak kell eldöntenie, hogy az íny tömegét gingivectomiával csökkenti, vagy esetleg ajakfeltöltést végez, esetleg botoxkezeléshez folyamodik, ahelyett hogy a hagyományos fogszabályzó kezeléssel egybekötött orthognáth sebészeti megoldást választaná.

Első esetbemutatás

A páciens a mosolyának megjelenésének minimálinvazív módszerekkel történő javítását kérte (2–4. ábrák).

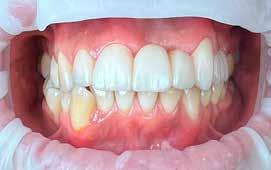
A páciens jelentős gingivális túlsúlylyal rendelkezett. A felső második kisőrlő fogak között (15-25) kb. 5 mm szélességű ínymosoly volt megfigyelhető. A felső középvonal

balra tolódott és a felső ajka is vékony volt. A bal oldalon Angle Class II/I relációs helyzetet észleltünk. A páciens közepes vastagságú egészséges ínynyel rendelkezett. Nem voltak lokalizált vagy generalizált gingivitis fennállására utaló jelek. Ezen felül nem találtunk szuvas, vagy tömött/egyéb módon helyreállított fogakat. A páciens fél éven keresztül hetente cserélte az alignereket (a felső fogív esetében 33-ból 25-öt, az alsó fogív esetében 25-ből 25-öt viselt, és nem volt szükség utólagos módosításokra). Ezalatt a felső frontfogakat megfelelő mértékig intrudáltuk, amely lehetővé tette e kezelés első fázisának lezárását (5–6. ábrák). A második fázisban digitálisan meghatároztuk a felső frontfogaknál szükséges lágyrészplasztika mértékét. Ez alapján egy sebészi sablont terveztünk, amelyet 3D nyomtató segítsé-

gével (PRO 4K; Asiga) kinyomtattunk (7–10. ábrák). A gingivectomiát ennek segítségével elvégeztük. Ezenkívül rendelői fogfehérítés is történt, valamint a felső frontfogak incizális élét kompozit tömőanyag segítségével kiegészítettük (11–12. ábrák). Az elért állapot stabilitásának fenntartása érdekében mélyhúzott retenciós sín készült (Zendura FLX thermoplasztikus retainer; Bay Materials). A mélyhúzott sínt a PRO 4K nyomtatónk által készített modellre készítettük el. A sín pontosságát és feszülésmentes illeszkedését a páciens is észlelte. A kezelés során felhasznált retainerek és modellek mind az AORTA fogtechnikai laboratóriumban készültek.

Második esetbemutatás A 14 éves páciens szintén a mosolyának minimálinvazív módszerekkel történő javítását kérte. Elzárkózott

1. ábra:

13. ábra: Kiindulási felvétel. – 14. ábra: A páciens mosolyáról készített közeli felvétel. – 15. ábra: Az Invisalign szoftver segítségével egymásra vetítve tudjuk megfigyelni a kiindulási (kék) és a tervezett végső állapotot (fehér). – 16. ábra: Az orthodonciai kezelés befejezésekor készített felvétel. – 17. ábra: A páciens mosolyáról az orthodonciai kezelés befejezését követően készített közeli felvétel.

rögzített fogszabályzó készülék viselésétől. Jelentős mértékű (kb. 3 mm-es) ínymosoly volt megfigyelhető mosolygás közben a felső első kisőrlőfogai között (14–24). A páciens felső középvonala és az arc középvonala egybeesett, valamint vékony felső ajakkal rendelkezett.

Ezenfelül mindkét oldalon Angle Class I relációs helyzetet, 4 mm-es overjetet és 80%-os overbite-ot figyelhettünk meg (13–15. ábrák).

A páciens közepes biotípusú ínnyel és egészséges parodonciummal rendelkezett. Nem észleltünk lokalizált vagy generalizált gingivitis fennállására utaló jeleket. A páciens nem rendelkezett fogazati restaurátumokkal, és szuvas léziókat sem észleltünk.

Kezdetben tizennyolc hónapon keresztül 4 naponta cserélte az alignereket (fogívenként 3939 darabot), majd végül a finomhangoláshoz hetente (2-2 darabot). Az eredményeket a felső frontfogak intrúziójával, a felső fogív szélesítésével és a bukkális háromszögek szimmetrikus kialakításával értük el. A retenciós fázis során átlátszó termoplasztikus műanyagból készített mélyhúzott síneket használtunk, amelyeket a fogtechnikai laboratóriumunkban lévő PRO 4K nyomtató segítségével készítettünk el.

Az overjetet 1,5 mm-re, az overbite-ot pedig 30%-ra csökkentettük. Ebben az esetben nem volt szükség protetikai ellátásra, vagy lágy szöveti augmentáció végzésére. A frontfogak intrúziójának mértéke 1,5–2,9 mm között mozgott. Ezzel sikeresen megszüntettük a páciens ínymosolyát (16–17. ábrák).

Bukkális

háromszögek

Ebben a fejezetben azt fogjuk körüljárni, hogy hogyan lehet alignerek segítségével az arc aszimmetriáját ellensúlyozni. Az AORTA elvek arra sarkallják a kezeléseket végző orvosokat, hogy az esetek kiértékelése során extraorális, periorális és intraorális paramétereket is rögzítsenek. A páciensek bukkális háromszögeinek vizsgálata során az arcszimmetriát is figyelembe kell venni, valamint meg kell határozni az arc középvonalának lefutását. A megfelelő referenciapontok ismeretében a fogorvosok meg tudják határozni a bukkális háromszögek között fennálló eltéréseket és ezeket az arc esztétikájával párhuzamosan tudják kiértékelni.

Az alignerek segítségével lehetőségünk van a fogívek nem sebészi módszerekkel történő szélesítésére, amely előnyös lehet a bukkális háromszögek méretének csökkentése, valamint az arc esztétikájának javítása során. A jól megjósolható eredményeket biztosító AORTA SAC protokollokat követve a bukkális háromszögek méretét akár 2–4 mm-rel tudjuk csökkenteni. A kezelés során az arc aszimmetriáját próbáljuk

ellensúlyozni, és ehhez gyakran a felső fogív nem parabolikus tágításához folyamodunk.

Első esetbemutatás

A páciens szebb mosolyt szeretett volna. Gyermekként rögzített fogszabályzó készüléket viselt, és a megelőző orthodonciai kezelés részeként a bal alsó első kismetszőfoga eltávolításra került. A felső metszőfogainak incizális éli lefutása fordított irányba mutatott, a jobb oldali bukkális háromszögek nagyobbak voltak. A kezelés célja a felső fogak harmonikus elhelyezkedésének biztosítása, és a felső fogív nem-parabolikus szélesítése volt. Ezen felül a bukkális háromszögek aszimmetriájának csökkentését és az interpupilláris vonallal párhuzamos incizális éli lefutás kialakítását tűztük ki célul (18–22. ábrák).

A mosoly rendezésének az a kulcsa, hogy kiválasszuk azt a fogat, amelyhez képest az hirdetés

18. ábra: Kiindulási felvétel. – 19. ábra: A páciens mosolyáról készített közeli felvétel. – 20. ábra: A kezelési célok bemutatása az AORTA kezelési protokollok segítségével. – 21. ábra: Kiindulási arcfotó. – 22. ábra: Az Invisalign szoftver segítségével egymásra vetítve tudjuk megfigyelni a kiindulási (kék) és a tervezett végső állapotot (fehér). – 23. ábra: Az orthodonciai kezelés befejezésekor készített felvétel. –24. ábra: A páciens mosolyáról az orthodonciai kezelés befejezését követően készített közeli felvétel.

elmozdulásokat tervezzük. Ezt az elvet követve lehetőségünk van az arc aszimmetriájának tervszerű korrekciójára. Ebben az esetben a jobb felső nagymetszőt választottuk referenciafognak. Ehhez a foghoz képest extrudáltuk a többi fogat a fejjel lefelé mutató incizális éli lefutás korrekciója során. A kezelési idő 13 hónap volt, amelybe a fogszabályzó kezelésen kívül egy rendelői fogfehérítés is beletartozott. A kezelést 5 évvel ezelőtt fejeztük be. Azóta a páciens éjszakai retenciós készüléket visel (23–24. ábrák).

Második esetbemutatás

A páciens a mosolyának javítása céljából érkezett a rendelőnkbe. A mosolyvonala keskeny volt, és emellett kétoldali hátsó és a jobb felső kismetszőfogának megfelelően első keresztharapással rendelkezett. Extraorális vizsgálat során arcszimmetriát is észleltünk (25–28. ábrák). A kezelés célja a keresztharapások megszüntetése, az aszimmetrikus bukkális háromszögek korrekciója és a mosoly szélesítése volt. A tervezett fogmozgatások elvégzését követően rendelői fogfehérítést vé -

geztünk, valamint a felső kismetszőket kompozit tömőanyag segítségével kiegészítettük (29–31. ábrák).

Additív korrekciók –a Virtuális Interdiszciplináris Mosoly Szimulátor (Virtual Interdisciplinary Smile Simulation) bemutatása

A cikk utolsó részében a Virtuális Interdiszciplináris Mosoly Szimulátorral (Virtual Interdisciplinary Smile Simulation, VISS; 14. ábra) megtervezett eseteket fogom ismertetni. Ez a program az alignerekkel végzett kezelések végén történő additív kiegészítések utáni állapot páciensek részére történő bemutatására szolgál. Az AORTA digitális diagnosztikai és tervezési szolgáltatása 2018 óta nagy fejlődésen ment keresztül. Az AORTA digitális labor bármely aligner rendszerrel végzett kezelés eredményét képes digitálisan létrehozni és ezt bármilyen direkt vagy

indirekt restaurátummal vagy lágyrészplasztikával kiegészíteni.

A virtuális mosoly szimulátor kifejlesztése mögött az a gondolat állt, hogy ezáltal még jobban elő tudjuk segíteni a páciensek végső állapot elérésével kapcsolatos elköteleződésének kialakítását. A diagnosztizálás, a tervezés és a vizualizáció közös digitális platformra való helyezésével jelentős előnyöket lehet elérni.

A szoftver lehetőséget ad arra, hogy a diagnosztizálás és a kezeléstervezés során a kezelőorvos extraorális, periorális és intraorális szinten is egyaránt hatékonyan érvényesítse az orthodonciai, protetikai és esztétikai elveket.

A bármely aligner rendszerrel történő kezelés végén elérni kívánt eredményt szimuláló STL-fájl kiértékelése során a kezelőorvos meg tudja ítélni, hogy esetlegesen szükség van-e még bármilyen kemény vagy lágy szöveti augmentáció végzésére. A lágyrészmenedzsment szempontjából fontos lehet előre tudni, hogy kell-e az ínylefutásban aszimmetriák megjelenésére számítani, vagy esetleg szükség lehet-e a fog-

25. ábra: Kiindulási felvétel. – 26. ábra: A páciens mosolyáról készített közeli felvétel. –27. ábra: A felső fogívről okkluzális irányból készített felvétel. – 28. ábra: Az Invisalign szoftver segítségével egymásra vetítve tudjuk megfigyelni a kiindulási (kék) és a tervezett végső állapotot (fehér). – 29. ábra: Az orthodonciai kezelés befejezésekor készített felvétel. – 30. ábra: A páciens mosolyáról az orthodonciai kezelés befejezését követően készített közeli felvétel. – 31. ábra: A felső fogívről az orthodonciai kezelés befejezését követően okkluzális irányból készített felvétel.

méretek utólagos megnövelésére. Ezeket mind előre meg lehet ítélni a virtuális szimuláció segítségével. Amennyiben szükség van a fogméretek vagy fogformák aranymetszés arányainak megfelelő módosítására, akkor az STL-fájlok birtokában bármilyen direkt vagy indirekt restaurátumot képesek vagyunk szimuláltan a fogfelszínekre helyezni. Ez már a kezeléstervezés fázisában választási lehetőségeket ad a páciens és az orvos kezébe. Sőt, ez új szintre emeli a páciens tájékoztatásának módját. Ezt a rendszert alkalmazva több választási lehetőség esetén sokkal magabiztosabban dönthet abban, hogy például a kizárólag protetikai, vagy az alignerek használatára épülő kezelési tervet kívánja inkább elfogadni. Manapság a legtöbb páciens héjak felhelyezése révén szeretne szebb mosolyt és fehérebb fogakat. Ezen körülmények között még fontosabb, hogy a kezelést végző orvos egyértelműen be tudja mutatni a különböző kezelésekkel elérhető végeredményeket és az ehhez veze -

tő lépéseket. Itt jól megmutatkozik a kizárólag héjak készítésével végzett és az alignerekkel történő fogmozgatásokat követően minimálinvazív direkt restaurátumok készítésén alapuló kezelések közti különbség. A kezelőorvos be tudja mutatni, hogy milyen mértékű foganyagelvételre van szükség a szabálytalan helyzetben lévő fogak héjakkal történő korrekciója során, és hogy ezek milyen kockázatokkal járhatnak. Ezzel párhuzamosan pedig be tudja mutatni, hogy a fogmozgatásokat követően készített direkt vagy indirekt restaurátumok készítése milyen invazivitással járna. Az alábbi esetbemutatások segítségével szeretném demonstrálni, hogy milyen előnyökkel jár a VISS használat, és hogy ez hogyan segíti a páciens és az orvos közös döntési mechanizmusát az alkalmazott terápia kiválasztása során. A kezelés minden aspektusának teljes transzparenciája teljesen új szintre emeli a páciens tájékozottságának mértékét. A módszer alkalmazásának köszönhetően sokkal egyértelműbben

32. ábra: A páciensről és a

mosolyáról készített felvétel. – 33. ábra: A páciens arcáról készített kiindulási felvétel és az Invisalign szoftverben készített kezelési szimuláció. – 34. a–e ábrák: A VISS szoftverrel készített kezelési szimuláció. a és d, kiindulási állapot; c és e; restauratív ellátást követően látható állapot (lila). – 35. ábra: A fogszabályzó kezelés befejezését követően a páciens arcáról és mosolyáról készített felvétel. – 36. a–e ábrák: A VISS szoftverrel készített kezelési szimuláció. a, kiindulási állapot; b és e, a fogszabályzó kezelés befejezését követően látható állapot; c és d, a restauratív ellátást követően látható állapot. – 37. ábra: A páciens arcáról és mosolyáról a fogfehérítés és restauratív ellátás elvégzését követően készített felvételek.

38. a–b ábrák: A páciens mosolyáról az aligneres kezelés előtt (a) és után készített felvételek (b). – 39. a–b ábrák: A páciens mosolyáról az aligneres kezelés (a), valamint a lágyrészplasztika és héjkészítés után (b) készített felvételek. – 40. a–b ábrák: A páciens mosolyáról az aligneres kezelés, valamint a lágyrészplasztika és héjkészítés után készített felvétel (a). Kiindulási állapot (b).

le lehet kommunikálni és át lehet hidalni a páciens igényei és a terápiás opciókkal elérhető eredmények közti különbségeket (31. a és b ábrák).

Első esetbemutatás A 20 éves hölgypáciens szebb mosolyt szeretett volna. Elülső keresztharapástól szenvedett, amely következtében a fogain kemény szöveti sérülések alakultak ki. Az alsó és felső középső metszőfogain zománc- és dentinsérülések voltak megfigyelhetőek. Előzőleg egy másik rendelőben is járt, ahol a fogazatának a helyreállítására vonatkozó kezelési tervben csak egy héjak készítésével járó opció szerepelt. Úgy döntöttem, hogy az alignertervező szoftver segítségével megmutatom számára, hogy mit tudunk elérni fogszabályzó kezeléssel, és ezt követően pedig a VISS szoftver segítségével megmutatom, hogy milyen restauratív opciók állnak számára rendelkezésre. A pácienssel szembeni korrekt és transzparens hozzáállás szellemében még az aligneres kezelés megkezdése előtt demonstrálom a tervezett restauratív fázis menetét és az ezzel elérhető eredményeket. Ezáltal személyesen is megtapasztalhatta és láthatta a teljes folyamat egyes lépéseit.

Ez a bámulatos vizualizációs eszköz (32–34. e ábrák) kifejezetten alkalmas a páciens tájékozott beleegyezésének biztosítására és emellett a kezelést végző orvos érdekeit is védi azáltal, hogy valósághűen bemutatja az egyes terápiás lehetőségek közti különbségeket, veszélyeket és előnyöket. A páciens saját szemével láthatja, hogy milyen mértékű foganyagelvételre van szükség a kizárólag protetikai módszerekkel történő helyreállítás során és hogy ez milyen veszélyekkel járhat. Ez a módszer felette áll minden szóbeli tájékoztatásnak vagy a beavatkozás menetét szemléltető brosúrának. A páciens, a VISS-sel történő demonstrációt követően, az alignerekkel való kezelést választotta. A fogszabályzó kezelés 10 hónapig tartott. Ezt követően újra áttekintettük a direkt és indirekt helyreállítással járó lehetőségeit. A páciens rendelői fogfehérítés, majd a felső frontfogainak és az alsó középső metszőfogainak IPS e.max (Ivoclar) héjakkal történő ellátása mellett döntött (35–37. ábrák).

Második esetbemutatás Ez az eset jól prezentálja a VISS alkalmazásának előnyeit kizárólag restauratív, vagy kizárólag aligneres, vala-

mint kombinált kezelések esetén. Ez a technológia lehetővé teszi számunkra, hogy egyértelműen megértessük a pácienseinkkel a rendelkezésre álló lehetőségeket, valamint arra, hogy nem kell feltétlenül két terápia közül választaniuk, hanem a kettő kombinációja is rendelkezésre állhat számukra. A páciens elülső keresztharapással rendelkezett (felső középső metszőfogak), valamint a felső kismetszők mérete a nagymetszőkhöz képest aránytalanul kicsi volt. A bukkális háromszögek között aszimmetria állt fenn, valamint ínymosoly is megfigyelhető volt. A páciens héjakkal szerette volna a mosolyát helyreállítani (38. a–41. ábrák).

ábra: A páciens arcáról és mosolyáról a kezeléstervezés során készített felvételek. –

ábra: A páciens arcáról az aligneres kezelés megkezdése előtt készített felvétel, valamint az Invisalign szoftveres szimuláció. – 43. ábra: A páciens arcáról és mosolyáról készített felvétel. Ebben a stádiumban már az aligneres kezelés után vagyunk, de a lágyrészplasztika és héjakkal történő ellátás még nem került elvégzésre.

Az alignertervező szoftver és a VISS szoftver segítségével egy olyan kezelési tervet prezentáltunk a páciens számára, amelyben orthodonciai és protetikai kezelések is szerepeltek. Először alignerek segítségével próbáltuk meg a bukkális háromszögeknek megfelelően látható aszimmetriát ellensúlyozni, valamint a felső kismetsző körül egyenlő nagyságú réseket nyitni. Ezt 10 hónap alatt tudtuk megvalósítani. Ezután a VISS segítségével két különböző kezelési tervet ismertettünk a páciens számára. Az egyikben a lágyrészmenedzsment mellett a két felső kismetsző került héjakkal ellátásra, a másikban pedig a lágyrészmenedzsmenten kívül nyolc felső frontfoga került héjakkal ellátásra (42 és 43. ábrák). A páciens a nyolc héj készítésével járó megoldást választotta. A lágyrészkontúrok kialakítását követően az optimális színnel és formával rendelkező héjakat IPS e.max-ból készítettük el (44–46. ábrák).

páciens

44. ábra: A VISS szoftver gyakorlati alkalmazása. A két felső kismetszőnél végzett lágyrészplasztika és héjkészítéssel elérhető eredmények páciens számára történő prezentálása. – 45. ábra: A nyolc felső frontfognál végzett lágyrészplasztika és a régió héjakkal történő ellátásával elérhető eredmények bemutatása. – 46. ábra: A fogfehérítés, lágyrészplasztika és héjkészítés után látható állapot. – 47. a–d ábrák: A páciens mosolyáról készített kiindulási felvételek (frontális, okkluzális és laterális irányból).

Harmadik esetbemutatás

Az utolsó eset egy a tinédzseréveinek a végén járó fiatal páciens mosolyának javítását ismerteti. A közösségi médiában látottak hatására héjak készítését szerette volna, viszont tisztában volt az ehhez szükséges beavatkozás veszélyeivel. A VISS alkalmazása ebben az esetben is hiánypótlónak bizonyult. Be tudtam mutatni a héjak készítésével járó, valamint az alignerek alkalmazását követően a fogak direkt felépítésére alapuló kezelés lépéseit és az ezekkel elérhető eredményeket. A páciens a látottak alapján a lehetséges előnyök és hátrányok ismeretében kiválaszthatta, hogy melyik kezelés végzését kéri. Kellő információ állt rendelkezésére, hogy tájékozott döntést hozzon az alkalmazott terápiával kapcsolatban (47. a–49. ábrák). Számomra is rendkívül előnyös volt a helyzet. Mindkét lehetőséggel kapcsolatban részletesen tájékoztattam. Mindkét opció megfelelt a szakmai elveknek, valamint nagy bizonyossággal elérhető esztétikailag elfogadható eredményekkel járt. Az én felelősségem az volt, hogy vizuális segédeszközökkel alátámasztva a páciens számára érthető módon bemutassam a különböző kezelések előnyeit, hátrányait és veszélyeit. A páciens az aligneres kezelést választotta. A fogszabályzó kezelés 6 hónapig tartott. Ezt követően rendelői fogfehérítést végeztünk, valamint kompozittal kiépítettük a felső kismetsző fogait (50. a–d ábrák).

Összefoglalás

A fenti esetek jól példázzák, hogy a digitális kezeléstervezés révén bemutatásra kerülő kezelési alternatívák milyen hatékonyan segítik elő a páciensek esztétikai igényeinek előre jól megjósolható végeredménnyel járó kielégítését. Az alignerekkel végzett kezelések során komprehenzív és minimálinvazív módon tudjuk a páciens esztétikai megjelenését javítani.

A VISS szoftver alkalmazása lehetőséget biztosít arra, hogy a diagnosz-

tizálás, a kezeléstervezés és a páciens motivációjához szükséges kezelési eredmény vizualizáció egy közös digitális platformon valósuljon meg. Azonban ehhez nyitnunk kell a digitális munkafolyamatok felé. A rendelő digitalizálásának első lépése egy orálszkenner és egy 3D nyomtató beszerzése. A nyomtatót használhatjuk rendelőn belül, vagy a fogtechnikai laborban is elhelyezhetjük. Az általunk elérni kívánt célhoz magas technológiai színvonalat képviselő, a PRO 4K-hoz hasonló műszaki jellemzőkkel rendelkező nyomtatók szükségesek. Forrás: Aligners – International Magazine of Aligner Orthodontics, 2. évfolyam, 2023/1. szám

1998-ban szerzett BDSdiplomát az ausztráliai Melbourne-i Egyetemen. A kozmetikai fogászat iránti szenvedélye miatt 2017-ben az ausztráliai Double Bayben, Új-Dél-Walesben, az ausztráliai Postgraduate School of Dentistry-ben esztétikai fogszabályozásból szerzett diplomát. 2007-ben alapított egy belvárosi fogászati klinikát, amely 2011-ben és 2012-ben szerepelt a BRW Fast 100 ausztrál vállalkozás listáján. Rendszeresen tart előadásokat és mentorál a Postgraduate School of Dentistry, a SmileStyler, az lvoclar, a 3DMEDiTech, az Angel Aligners, a Smile Academy, a Dental Axess és a Dental Hygienists Association of Australia szervezeteinél, valamint a Philips és a DentalMonitoring kulcsfontosságú véleményformálója. Dr. Hagiliassis abszolút szereti a technológiát, és azt, hogy miként tudja azt beépíteni a rendelője munkafolyamataiba a páciensek élményének javítása érdekében. 2012 óta ő a Philips Zoom! fogfehérítés legnagyobb szolgáltatója Ausztrálázsiában, 2014 óta pedig az egyik legnagyobb lnvisalign-szolgáltató Ausztrálázsiában. Eddig több mint 5000 Clear Aligneres esetet kezelt öt különböző rendszerrel, és 2014 óta Black Diamond lnvisalign szolgáltató. Dr. Hagiliassis emellett 2018-ban megalapította az Australasian Clear Aligner Society nonprofit szervezetet, 2017-ben pedig az AORTA (Aesthetic Orthodontic and Restorative Training Academy) nevű oktatási és digitális fogászati laboratóriumot.

Kapcsolat: www.aortaaustralia.com.au john@aortaaustralia.com.au

Dr. John Hagiliassis

VR haptika: a fogászati oktatásban rejlő lehetőségek és kihívások

Az egykor sci-finek tartott, haptikával kiegészített virtuális valóság (VR) képzés ma már támogató szerepet játszik a fogászati szimulációs gyakorlatban, és potenciálisan a manuális készségek fejlesztésének elsődleges módszerévé válhat a fogászatban. Tekintettel arra, hogy egyre inkább előtérbe kerül, finn kutatók a közelmúltban értékelték a haptikával kiegészített VR-képzés fogászati tantervbe való integrálásának előnyeit és kihívásait. Arról számoltak be, hogy bár a technológia sikeresen segíti a fogorvostanhallgatókat a kézügyesség klinikai gyakorlatba való átvitelében, az oktatók olyan aggályokra hivatkoztak, mint a realizmus hiánya és a virtuális környezetek kockázatmentessége. Oswald Fergus 1894-es fantomfejek bevezetésétől a modern VR-haptikáig a fogászati oktatási eszközök fejlődése a folyamatos innovációs törekvéseket tükrözi. Míg a fantomfejekre való történelmi támaszkodás lefektette az alapokat, a VR-haptika fejlődése újradefiniálja a fogászati oktatásban ma elérhető lehetőségeket. Az első VR-haptikus fogászati oktatógép 2009-es bevezetése jelentős mérföldkövet jelentett a fogászati oktatásban, áthidalva az elméleti tanulás és a gyakorlati preklinikai és klinikai képzés közötti szakadékot, és ezáltal javítva az oktatási élményt.

A fogászati képzés fejlesztése a digitális technológiával

A Kelet-finnországi Egyetem kutatói a közelmúltban irodalmi áttekintést készítettek az e képzési mód fogászati oktatásban betöltött szerepével és hatékonyságával kapcsolatos kutatásokról, hogy megszilárdítsák azokat az ismereteket, amelyekre a fogászati oktatóknak szükségük van a VR-haptika tantervekben való alkalmazásához. Eredményeik ismertetése során a VR-haptika fogászati oktatásban való alkalmazásával kapcsolatos, folyamatban lévő globális oktatói felmérésükből származó betekintést is beillesztettek azzal a céllal, hogy bemutassák az ezzel kapcsolatos jelenlegi kihívásokat. A szakirodalomból kiderült, hogy a fogászatban egyre gyakrabban használnak VR-haptikus oktatóeszközöket, és az eszközök egyre valósághűbbé és kifinomultabbá válnak. A VR-haptikus fogászati képzés a személyre szabott tanulást támogatja, és a hallgatók gyakran úgy tekintik, mint a preklinikai oktatás és a klinikai gyakorlat közötti átmenetet. A technológia azonnali, objektív és következetes visszajelzést biztosít, és képes kiemelni a további fejlesztést igénylő konkrét készségterületeket, és ezek a képességek a hallgatók fokozott elkötelezettségéhez és motivációjához vezetnek. „Az oktatóknak mostantól több lehetőségük van a preklinikai és klinikai

gyakorlati oktatás strukturálására a VR-haptikus technológiának köszönhetően” – nyilatkozta sajtóközleményében dr. Felszeghy Szabolcs vezető szerző, az egyetem vezető kutatója. A technológiának azonban vannak bizonyos hátrányai, például az, hogy jelentős kezdeti beruházásra van szükség. A Dental Tribune Internationalnak adott interjújában dr. Felszeghy elmondta, hogy 15 VR-haptikus oktatóegység telepítése több mint 1 millió euróba kerül. Emellett időt és erőfeszítést igényel a technológia integrálása a meglévő tantervbe, valamint a fogászati szakemberek képzése a használatára. Emellett megfelelő létesítményeket kell találni a képzési laboratóriumok kialakításához és a szükséges erőforrások biztosításához. Ezen idő-, pénz- és helytakarékossági tényezők miatt a technológia fogorvosi iskolák általi átvétele lassú volt. A kutatók továbbá kiemelték, hogy nincs konszenzus a VR-haptika fogászati tantervbe való integrálásának leghatékonyabb módjáról.

A pedagógusok körében végzett felmérésben jelzett kihívások jelezték a VR-haptikus eszközök fejlesztésének pontjait, és a válaszadók javaslatokat is tettek ezzel kapcsolatban. Ezek közé tartozott több képzési forgatókönyv beépítése, például foghúzás, fogátültetés és tömés; a szoftverek képességének fejlesztése, hogy több személyre szabási lehetőséget és funkciót, például hangvisszajelzést kínáljanak; valamint a mesterséges intelligencia alkalmazása a képzés és az értékelés javítása érdekében, például a tanulók erősségeire és gyengeségeire szabott, személyre szabott képzés. További ajánlások voltak az eszköz hordozhatóságának javítása, a nagy és kis sebességű műszeres opciók beépítése és az egyidejű többfelhasználós együttműködés lehetővé tétele.

Bár a VR-haptika előnyei a fogászati oktatásban nyilvánvalóak, a benne rejlő teljes potenciál kiaknázásához további kutatásokra lesz szükség, hogy igazolni lehessen az átalakító hatását, és előkészítsük az utat a fogászati oktatás szabványosított gyakorlataihoz.

„A VR haptikával támogatott fogászati oktatás jelentős lehetőségeket kínál a preklinikai és klinikai képzés kihívásainak kezelésében. Segíthet enyhíteni a jelenlegi oktatási módszerek bizonyos korlátait. A további kutatás és validálás azonban elengedhetetlen, mielőtt a VR-haptika a fogászati oktatásban a kézügyesség fejlesztésének elsődleges módszerének tekinthető. A technológia fejlődésével egyre fontosabb szerepet játszhat mind a tanulásban, mind az értékelésben a fogorvosi szakmán belül” – zárta gondolatait a társszerző, prof. Murat Mutluay, a Kelet-finnországi Egyetemről.

A „Benefits and challenges of the integration of haptics-enhanced virtual reality training within dental curricula” című tanulmányt a Journal of Dental Education című folyóiratban tették közzé online 2024. december 17-én.

és mindez 1 fecskendőben!
3 viszkozitás –végtelenül sok

lehetőség

Az OMNICHROMA családban a szabadalmaztatott Smart Chromatic Technology a strukturális színeknek köszönhetően fokozatmentes színilleszkedést biztosít A1-től D4-ig. Emellett 3 különböző viszkozitás áll rendelkezésre minden preferenciához és felhasználási területhez. Így az OMNICHROMA család minimális anyagfelhasználás mellett minden elképzelhető lehetőséget biztosít a felhasználó számára.

OMNICHROMA – nincs szükség ennél többre a modern helyreállító kezeléshez.

mesterséges színpigmentek nélkül „automatikusan” illeszkedik a fogszínhez

Bis-GMA-mentes készítmény a jobb biokompatibilitás érdekében

fenntartható készletgazdálkodás

csak 1 színt kell rendelni és nincsenek lejárt különleges színek

Ha többet szeretne megtudni:

A 3D technológia a jövő, és még ma bele kell vetnünk magunkat

Korábban fogtechnikus és 3D szakértő voltam a Fibonacci Dental Studióban, egy kompakt fogászati stúdióban, amely komplex esetekre és egyéni megközelítésekre összpontosít Tallinnban, Észtországban. Jelenleg a Tallinna Hambalabor 3D-nyomtatási szegmensét fejlesztem. A 3D technológia a jövő, és nekünk már ma bele kell merülnünk, hogy tapasztalatokat szerezzünk és a munkafolyamatokat a jelenlegi technológiai környezethez igazítsuk. A 3D nyomtatással kapcsolatos személyes tapasztalataim a Formlabs Form 2 nyomtatójával kezdődtek, majd egy ideig a Veltz és a Phrozen nyomtatókat próbáltuk ki. Még a laboratóriumi munkához szükséges hasznos eszközök előállításához is elmentünk a filament nyomtatókhoz. A digitális utazásom legszebb napja azonban az volt, amikor megérkezett az Asiga MAX UV nyomtatónk. Ez a technológia számos lehe -

tőséget nyitott meg a stabil és kiváló minőségű munkához. Napjainkban már nem vagyunk földrajzi korlátok közé szorítva, ha munkáról van szó, hanem a digitális szkennelésnek és a gyorsított világméretű légi postának köszönhetően országszerte és világszerte is dolgozhatunk.

Az Asiga 3D nyomtatók lehetővé teszik, hogy bármely digitális adatot kevesebb mint egy óra alatt fizikai tárgyakká alakítsunk. Még akkor is, ha a gipszmodell megsérült a gyártás során, a MAX UV a szkennelési és CAD-technológiákkal kombinálva képes kinyomtatni egy másolatot. A MAX UV készülékünkkel kapcsolatos kedvenc szempontjaim a következők: Teljesen digitális munka lehetősége artikulátorral és állkapocsmozgásokkal: A mai technológiával a digitális artikulációnkat 100%-os pontossággal tudjuk átültetni egy fizikai artikulátorra.

• Képes egy nyomtatóról rugalmasan, összetett esetekre megoldásokat készíteni: A tálca cseréjével a rendszer készen áll a PMMA-fila-

Tíz kulcsfontosságú pont

A digitális munkafolyamatot lehetővé tevő technológia átalakította a fogorvosi rendelőt, új lehetőségeket kínálva a pontosság, a hatékonyság és a páciensek élményének javítására. A 40-es és 50-es éveikben járó analóg fogorvosok számára, akik modernizálni szeretnék rendelőjüket, az átállás eleinte kihívásnak tűnhet. Az olyan eszközökkel azonban, mint a SprintRay protokoll és az intuitív és logikus alkalmazások, a digitalizáció egyszerre elérhető és gyorsan megvalósítható. A Medit digitális felvételének és alkalmazásainak integrációja optimális eredményeket tesz lehetővé, észszerűsíti

a szállítási folyamatot, és hatékony eredményeket tesz lehetővé közvetlenül a klinikán belül. Ebben a cikkben tíz kulcsfontosságú pontot ismertetek a szakemberek számára, amelyeket figyelembe kell venniük, amikor eldöntik, hogy bevezetik-e ezt a digitális technológiát.

Az analóg és a digitális eljárások közötti különbségek

Az analóg és a digitális eljárások közötti különbségek mind a protézisek tervezésének és gyártásának formájában, mind a lépések számában nyilvánvalóak.

mentummal történő nyomtatásra, miután éppen egy sebészeti útmutatót nyomtatott. Most már néhány nyomtatással sebészeti vezetőket, pozicionáló vezetőket és PMMA-alkatrészeket is nyomtathatunk. Könnyen méretezhető a laboratóriumi igényekhez: A MAX UV integrálása hihetetlenül egyszerű volt a csapat számára, és megduplázta a gyártási kapacitást a korábban használt 3D nyomtatókhoz képest. A következő lépés a gyártási sebesség megnégyszerezése az Asiga PRO 4K-val.

• Könnyedség és pontosság: Az egyetlen koronával vagy híddal helyreállítandó implantátumokat tartalmazó restaurációs esetek kezelése egyszerűvé válik.

• Képes függőleges nyomtatott sínt készíteni: Ha pontos funkcióval és kontaktokkal modellezek síneket, nem lehetséges, hogy a minőség romlása nélkül bármilyen okkluzális felületre csatlakozókat helyezzek el. A függőleges nyomtatással ez megvalósítható.

A munka 95%-át digitálisan végzem, egyszerűen csak néhány csatlakozót helyezek a terminális molárisok disztális oldalára, és máris kész a sín.

A MAX UV egyik legfontosabb jellemzője a nyitott anyagrendszer. Az Asiga hivatalos weboldalán található hitelesített anyagok választéka elképesztő. Számomra felbecsülhetetlen előny, hogy nem vagyok köteles kizárólag Asiga anyagokkal dolgozni, hanem könnyedén kipróbálhatom tucatnyi gyártó bármelyik anyagát, így az anyagválasztásomat a minőség, az ár, a specifikációk és a piacon való elérhetőség szempontjából az igényeimhez igazíthatom. Amikor a modelljeim nyomtatásáról van szó, mindig az Asiga DentaMODEL modellkészítővel dolgozom. A pontosság és a felületkezelés a legjobb, amit a piacon találtam. Ami még csodálatosabb, hogy kiégető anyagként is sikeresen használom, és mindig kiváló eredményt ad, tiszta kiégetést eredményez. A sebészeti vezetőkhöz inkább a Keystone KeyGuide-jával dolgozom. Az Asiga DentaTOOTH-t az A1 és A2 árnyalatokhoz szeretem, az A3 árnyalathoz pedig a DETAX FREEPRINT temp-et használom.

A mindennapi használatban az előállított modell stabilitása és pontossága is létfontosságú. Ezekben a paraméterekben az Asiga soha nem hagy cserben. Könnyedén meg tudom tervezni a munkámat, ha nincs

hiba a nyomtatásban, és garantált eredményt kapok. Mielőtt a végleges munka a páciens szájába kerül, nagyon esztétikusan néz ki a modell. A modellek megjelenése a fogorvosok számára is nagyon fontos. A szín és a textúra tiszta és profeszszionális megjelenést ad. Rövid távon szeretném, ha a 3D nyomtatás általában még gyorsabbá válna, mivel minden 10-15 perc megtakarítás kritikus egy laboratórium számára. Azt is várom, hogy még összetettebb anyagok kerüljenek a piacra, például keményebb PMMA. Szerencsére az Asiga nyílt anyagrendszerének köszönhetően valószínűleg mi fogunk elsőként hozzáférni ezekhez az új gyantákhoz. Ha a digitális fogászat horizontját nézzük, akkor azt látom előre, hogy a csúcstechnológiás, mesterséges intelligencia által támogatott gépek és eszközök világában leszünk, amelyek szinte mindent előállítanak majd a fogászati laboratóriumokban, és a fogtechnikusra az emberi ellenőrzéshez és az utolsó simításhoz lesz szükség, hogy a restaurációk élethű megjelenést kapjanak.

A 3D nyomtatásnak könnyen hozzáférhető, precíz, professzionális eszköznek kell lennie, garantált eredménnyel, és nem teher a használata. Az Asiga az én megoldásom a 3D nyomtatásra.

Forrás: 3D Printing – International Magazine of Dental Printing Technology 4. évfolyam, 2024/2. szám

Pavel Kijanets

Képzett fogtechnikus és 3D nyomtatási szakértő, aki Tallinnban, Észtországban él. A Tallinna Hambalaborban dolgozik, ahol a 3D nyomtatási szegmens fejlesztését vezeti, innovatív fogászati megoldásokat fejlesztve.

A pavel.kijanets@gmail.com címen érhető el.

1. A SprintRay alkalmazás és a protokoll egyszerű használata

A SprintRay alkalmazást intuitív, protokollvezérelt felülettel tervezték, amely még a fejlett technológiával kapcsolatos korábbi tapasztalattal nem rendelkezők számára is könnyen használhatóvá teszi. A platform részletes útmutatókat és folyamatos technikai támogatást biztosít, ami lehetővé teszi a zökkenőmentes átállást, és nem igényel mélyreható műszaki számítógépes ismereteket.

2. Teljes munkafolyamatintegráció

A SprintRay lehetővé teszi a fogászati folyamat minden szakaszának integrálását, a kezdeti szkennelés-

től a protézisek 3D nyomtatásáig. A munkafolyamatok ilyen egységesítése kiküszöböli a manuális folyamatok szükségességét, és csökkenti a laboratóriumba történő szállítást, jelentősen javítva a működési hatékonyságot. A Medit szkennerprogramból a szkennelés nyomtatóba történő elküldése közvetlenül, minden előzetes lépés nélkül integrálható. Minden készen áll a digitális munkafolyamatok terén tapasztalattal nem rendelkező fogorvos számára.

3. Pontosság és részletesség a szkennelésekben

A rendszerek lenyűgöző pontosságot nyújtanak a kapott szkennelé -

sekben, és olyan apró részleteket rögzítenek, amelyek biztosítják a restaurációk tökéletes illeszkedését. Ez a pontosság csökkenti a későbbi korrekciók szükségességét, javítva a páciensek elégedettségét és optimalizálva a fogorvos idejét. A mesterséges intelligencia segítségével kevesebb mint 5 perc alatt megkapható a korona tervrajza, és 15 perc alatt készen áll a nyomtatásra.

4. Intuitív alkalmazások A SprintRay alkalmazás és a Medit szkenner alkalmazás rendkívül intuitív, könnyen navigálható felületekkel rendelkezik. Ez lehetővé teszi az analóg fogorvosok számára a gyors tanulást és alkalmazkodást anélkül, hogy

az új technológia átvételével járó tipikus akadályokkal szembesülnének.

5. Az emberi hibák csökkentése

A munkafolyamatok digitalizálása minimalizálja a manuális folyamatoknál gyakori emberi hibákat. A digitális szkennelés kiküszöböli a torzulás lehetőségét, így pontos alapot biztosít a protézisek tervezéséhez és gyártásához.

6. Javított betegkommunikáció

A SprintRay 3D-s képei és digitális modelljei megkönnyítik a pácienssel való kommunikációt, lehetővé téve számára a kezelési terv megjelenítését és a javasolt eljárások jobb megértését. Ez javítja a páciens bizalmát és a kezelésben való együttműködést. A Medit alkalmazás bármelyik

verziójában a kezdeti szkennelés, valamint a dinamikus okklúzió képernyőn való megjelenítésének, a harapási szintek szabályozásának és az ideiglenes protézis tervének kivetítésének lehetőségeivel együtt az új digitális fogorvos számára intuitív és könnyen használható lehetőségek széles skáláját kínálja, amelyek javítják a kommunikációt és a praxis marketingjét.

7. Idő- és költségmegtakarítás

A digitális technológia bevezetése jelentősen csökkenti az összetett kezelések elvégzéséhez szükséges időt. Ezenkívül a rendelő külső laboratóriumtól való függőségének csökkentésével csökkennek a kapcsolódó költségek, ami a rendelőt jövedelmezőbbé teszi. Az eredmény

ugyanazon a látogatáson történő kézhezvétele lehetővé teszi a páciensek azonnali elégedettségét és elfogadását, ami megkülönbözteti a rendelőt az analóg technológiát használó rendelőktől. Az olyan alkalmazásokkal, mint a Medit ClinicCAD, és a tervek közvetlen nyomtatóba küldésének lehetőségével az új digitális fogorvos még ugyanazon látogatás során tartós ideiglenes hidat készíthet.

8. Folyamatos képzés és támogatás

A SprintRay képzési programokat és folyamatos támogatást kínál a SprintRay Universityn keresztül, biztosítva, hogy az analóg fogorvosok megoldják a felmerülő kérdéseket és optimalizálják a technológia használatát. Ez a támogatás elengedhe -

tetlen a sikeres és zökkenőmentes átálláshoz. A Medit esetében a fogorvosok különböző tanfolyamokhoz és tanácsadáshoz férhetnek hozzá, ami lehetővé teszi a gyors tanulást és értékes támogatást nyújt a kezdők számára, akiknek nincs korábbi tapasztalatuk. Ezenkívül a kisegítő személyzet gyorsan elsajátíthatja a szkennelési technikákat, így időt és pénzt takaríthat meg a fogorvosoknak, és felszabadulnak más feladatok elvégzésére.

9. Versenyképes előny

A digitális munkafolyamatot támogató technológia bevezetése jelentős versenyelőnyt jelent. A betegek olyan rendelőket keresnek, amelyek a legmodernebb technológiát használják a gyorsabb, pontosabb és

kényelmesebb kezelések biztosítása érdekében. A fogorvosi rendelők modernizálása szélesebb és igényesebb ügyfélkört vonzhat, de olyanokat is, akik hajlandóak fizetni az átfogóbb, gyorsabb és hatékonyabb szolgáltatásért, a megoldásra való hosszú várakozás nélkül.

10. Személyes vélemény Az analógról a digitális gyakorlatra való áttérés elsőre megterhelőnek tűnhet. Az átállást megkönnyítő eszközökkel azonban, mint amilyeneket a SprintRay és a Medit kínál, az előnyök messze felülmúlják a kezdeti kihívásokat. A nagyobb pontosság és működési hatékonyság, valamint a jobb betegélmény nyújtásának képessége nyomós okok arra, hogy fontolóra vegyük ezt az átállást. Véleményem szerint azok az analóg fogorvosok, akik elfogadják ezt a technológiát, nemcsak a rendelőjüket modernizálják, hanem magasabb szintű ellátást is nyújtanak. A kulcs a SprintRay intuitív képességeinek kihasználása, valamint a rendelkezésre álló folyamatos támogatás és képzés igénybevétele. A megfelelő hozzáállással és a megfelelő eszközökkel a digitalizáció átalakító és kifizetődő élményt jelenthet bármely fogorvos számára. A változás könnyebb és kevésbé bonyolult, mint gondolná.

Forrás: CAD/CAM – International Magazine of Dental Laboratories 15. évfolyam, 2024/2. szám

Dr. Fernando Gérman

Fogászati szakértő, a Denti nova Academy igazgató ja, a SprintRay rendszeres előadója és a CAD-Ray Europe egyik vezető véleményformálója. Az amerikai New York Egyetemen szerzett diplomát, és szá mos kutatási cikk szerzője az implantológia, a 3D nyomtatás, a digitális lenyomatvétel és a fogsorgyártás témakörében.

A koraszülés fő előjelei is lehetnek a fogászati problémák

Dental Tribune International

A koraszülés (PTB) kockázati tényezőinek azonosítása kulcsfontosságú ahhoz, hogy az egészségügyi intézmények, a szülők és a politikai döntéshozók megalapozott döntéseket hozhassanak a csecsemők egészségügyi eredményeinek javítása érdekében. A múltban a koraszülés előre jelzéseivel kapcsolatos tanulmányok elsősorban a klinikai és környezeti tényezőkre összpontosítottak, gyakran figyelmen kívül hagyva a fogászati változókat. Dél-koreai kutatók azonban azt találták, hogy a parodontitiszhez kapcsolódó paraméterek jelentős előrejelzői a PTB-nek. Ez aláhúzza annak fontosságát, hogy a korai beavatkozások támogatása és az anyai és újszülöttkori egészség javítása érdekében az orvosi és fogászati vizsgálatok beépüljenek a terhesgondozási protokollokba.

A WHO becslései a koraszülés terén

Az Egészségügyi Világszervezet becslései szerint 2020-ban 13,4 millió csecsemő született koraszülöttként. 2019-ben a PTB szövődményei körülbelül 900 000 gyermek halálához vezettek, és sok túlélő továbbra is tartós problémával küzd, beleértve a tanulási nehézségeket és a látás- vagy halláskárosodást.

A kutatások szerint a parodontitis széles körben összefügg a PTB-vel és a terhességi szövődményekkel és olyan közös kockázati tényezőkkel, mint az alacsony társadalmi-gazdasági státusz, a magas testtömegindex (BMI), a dohányzás és az alkoholfogyasztás. Valamint olyan klinikai tényezők, mint a cukorbetegség és a magas vérnyomás. Bár korábbi tanulmányok ös zszefüggést sugalltak a várandós anyák parodontális betegsége és a koraszülés fokozott kockázata között, erre meggyőző bizonyítékot nem sikerült találni.

„A mi vizsgálatunkat az különbözteti meg a korábbiaktól, hogy a jól ismert klinikai kockázati tényezők mellett fogászati tényezőket is hozzáadtunk, beleértve a különböző klinikai hátteret és szülészeti előzményeket” – írták a kutatók a cikkükben.

Az anyai szájhigiénia szerepének vizsgálata

A jelenlegi tanulmány 60 olyan nő adatait elemezte, akik császármetszéssel szültek. A vizsgálat 30 koraszülést és 30 nem koraszülést tanulmányozott. A kutatók az olyan ismert tényezők

mellett, mint a terhesség előtti BMI, az anyai életkor és a preeklampszia, öt fogászati előrejelzést vizsgáltak meg, köztük a módosított gingivaindexet, a parodontitis stádiumát és a plakkindexet.

A koraszülés öt legfontosabb prediktora a terhesség előtti BMI, a módosított gingivaindex, a preeklampszia, a DMF-index és az anyai életkor volt. Figyelemre méltó, hogy az íny egészsége a PTB kockázatának második legjelentősebb tényezője és a spontán PTB hatodik legjelentősebb előrejelzője volt, megelőzve az olyan jól ismert orvosi koraszülés kockázati tényezőit, mint a korábbi PTB, a krónikus magas vérnyomás és a terhességi cukorbetegség.

Megelőzése előzetes vizsgálatokkal

A vizsgálat korlátai ellenére (mint például a kis mintanagyság és a társadalmi-gazdasági változók kizárása) az eredmények komoly lehetőségeket mutatnak a koraszülés-előrejelzési modellek fejlesztésére. Az eredmények például hozzájárulhatnak az előrejelzési modellekre vonatkozó iránymutatások kidolgozásához, és komoly bizonyítékot szolgáltathatnak a korai szűrésekhez és az e kockázati tényezőkön alapu -

ló, személyre szabott megelőző beavatkozásokhoz. Emellett az anya fogászati egészségének állapota a koraszülés jelentős előrejelzéseként való azonosítása kiemeli a terhes nők rutinszerű fogászati vizsgálatának fontosságát.

„A jövőbeli kutatásoknak arra kell összpontosítaniuk, hogy ezeket a prediktív tényezőket nagyobb populációkban érvényesítsék, és olyan beavatkozásokat vizsgáljanak meg, amelyek csökkentik ezeket a kocká-

zati tényezőket” – állapították meg a szerzők.

A tanulmány címe: „Clinical and dental predictors of preterm birth using machine learning methods: The MOHEPI study” című tanulmányt a Scientific Reports című tudományos folyóiratban tették közzé online 2024. október 21-én. DT

Egy nemrégiben készült tanulmány a korábbi kutatásoktól eltérően a koraszülés jelentős előrejelzőjeként mutatta be a fogászati tényezőket. (Kép: Andrey_Popov/ Shutterstock)

Kutatás mutatta ki, nőtt az amerikai fogorvosok nyugdíjkorhatára

Dental Tribune International

Az Amerikai Fogászati Szövetség Egészségpolitikai Intézetének (HPI) kutatása azt mutatta ki, hogy a fiatal amerikai fogorvos-generáció tagjai nagyobb valószínűséggel praktizálnak alkalmazottként és csak kisebb hányaduk működtet saját fogorvosi rendelőt, mint egy évtizeddel ezelőtt. Az intézet legfrissebb kutatása alapján az is előfordulhat, hogy az orvosoknak hosszabb ideig kell dolgozniuk a nyugdíjba vonulásukig. A HPI kutatásának új adatai alapján láthatjuk, hogy az amerikai fogorvosok átlagos nyugdíjba vonulási életkora, vagyis a nyugdíjkorhatár 2023-ban 69 éves korra nőtt, ami mintegy négy évvel tolódott ki, mint a 2001-ben nyugdíjba vonuló orvosok átlagéletkora.

Az Amerikai Fogászati Szövetség Egészségpolitikai Intézete szerint az Egyesült Államokban dolgozó fogorvosok többsége vagy friss diplomás, vagy 2023-ban nyugdíj előtt álló klinikus. (Kép: Olena Yakobchuk/ Shutterstock)

Évtizedek óta növekedő átlag nyugdíjkorhatár

A kutatás szerint 2023-ban az átlagos nyugdíjkorhatár 68,9 év volt, amely megközelíti a COVID járvány előtti 69 éves korhatárt. Az átlagos nyugdíjkorhatár két évtizede folyamatosan emelkedik – 2001-ben még 64,7 év volt –, és a legtöbb fogorvos már az előírt nyugdíjkorhatár után vonult nyugdíjba. 2023-as adatok alapján a klinikusoknak mindössze 21%-a ment nyugdíjba 65 évnél fiatalabb korában, 30%-a 65-69 éves korában, 29%-a 7074 éves korában, míg 20%-a pedig 75 éves vagy annál idősebb korában.

Hosszabb, kitolódott karrieridő Az amerikai fogorvosok ma már jóval hosszabb ideig dolgoznak, mint elődjeik. Az átlagos karrieridő jelenleg 41,8 év, ami azt jelenti, hogy a praktizáló fogorvosok manapság négy, akár öt évvel tovább dolgoznak, mint a 2001-es évben.

A 2023-ban nyugdíjba vonuló klinikusok 14%-a 35 évnél kevesebbet dolgozott, 48%-a 35-44 évet, 34%-a 45-54 évet, míg 4%-a pedig 55 évet vagy annál többet is.

Hatalmas szakadék a praktizáló fogorvosok életkorában 2023-ban az amerikai fogorvosi munkaerő legnagyobb részét vagy a friss diplomások, vagy a nyugdíj előtt álló klinikusok tették ki, és a HPI intézet szerint az utóbbiak, vagyis a nyugdíj előtt állók számának folyamatos csökkenése a fogorvosok fiatalabb generációja felé történő növekvő elmozdulást jelez. Tavaly az amerikai klinikusok átlagéletkora 48,8 év volt, ami a 2014es adatokhoz képest csökkent, mely akkoriban még 50 év volt. DT

hirdetés

Brånemark professzor, a modern fogászati implantológia atyja életének ünneplése

gyakorolta ezt a tudományágat, fenomenálisan hozzájárult a fogászathoz. (Kép: CC BY 3.0; változtatások)

Dental Tribune International

2024. december 20-án volt tíz éve, hogy elhunyt Per-Ingvar Brånemark professzor, a svéd orvos és anatómus, akinek az 1950-es évek elején az oszteointegráció véletlenszerű felfedezése forradalmasította a fogászati implantológia területét, és megnyitotta az utat a ma ismert tudományág fejlődése előtt. A Cureus novemberi számában megjelent cikk áttekintést nyújt e kiváló klinikus pályafutásáról és hatásáról, aki híres mondása szerint „Senkinek sem szabad úgy meghalnia, hogy a fogai egy pohár vízben vannak az ágya mellett”. Az 1929-ben Karlshamnban született Per-Ingvar Persson a svédor-

szági Lund Egyetemen tanult, ahol a csontvelő mikroszkópiáját kutatta, és 1959-ben diplomázott. Ez idő tájt változtatta meg a családnevét Brånemarkra. A név angolra szó szerint úgy fordítható, hogy „aki utat tör”, tehát a fiatal orvos láthatóan maradandót akart alkotni. Brånemark professzor 1965-ben kezdett fogászati implantátumokkal foglalkozni, 1969-ben pedig a svédországi Göteborgi Egyetem anatómiaprofesszora lett, azonban az oszteointegráció mintegy tíz évvel korábbi kulcsfontosságú felfedezése volt az, amely életműve szempontjából a legnagyobb jelentőséggel bírt. Az 1950-es évek elején Brånemark professzor a véráramlás és a csontgyógyulás közötti kapcsolatot kutatta, amikor véletlenül felfedezte, hogy a titániumot élő csonthoz lehet olvasztani. A gyógyulási folyamat tanulmányozására titánból készült optikai eszközöket helyezett nyulak sípcsontjába és szárkapocscsontjába, és azt tapasztalta, hogy a kutatási időszak után nem tudta eltávolítani az eszközöket. A kötés, állapította meg, olyan erős volt, hogy csak töréssel lehetett felbontani. A cikk szerzői, akiket prof. Deepesh Saxena és dr. Abhinav Sharma, az indiai Subharti Dental College and Hospital protetikai és implantológiai specialistái vezettek, kifejtették, hogy ezt a felfedezést in vivo vizsgálatok követték a csont-, csontvelő- és ízületi szöveteken, hogy „felmérjék a sérült szövet mechanikai, kémiai, termikus és reológiai reakcióját”. Ezt követően hosszú távú vizsgálatokat végeztek a csont és a csontvelő reakcióiról a csavar alakú titánimplantátumok beültetésére, először nyulak sípcsontjában és szárkapocscsontjában, majd később a foghúzás során a fogak foghúzási

üregeiben, ez utóbbiakban az implantátumokat a gyógyulás után rögzített protézisek terhelésére tesztelték. „[Az implantátumok sikerét] annak tulajdonították, hogy a gyógyulási időszak alatt az implantátum körül kompakt kortikális csontból álló héj alakult ki, anélkül, hogy az implantátum felszíne és az élő csont között lágyszövetek közrejátszottak volna” – írták a szerzők.

A csontintegráció első, embereken végzett vizsgálatában Brånemark professzor 20 laboratóriumi hallgatójának felső karján helyeztek el optikai titániumkamrákat, és a vizsgálat nem talált gyulladásra utaló jeleket. A következtetés az volt, hogy az oszteointegráció hatékony lehet az emberekben. Dr. Tomas Albrektsson, Brånemark professzor kortársa a Göteborgi Egyetemen, 2014-ben a New York Times-nak nyilatkozta: „Meg kell érteniük, hogy a laboratóriumban minden férfi önkéntesnek számított, beleértve az idősebb testvéremet is”. Hozzátette: „Mindannyiuknak a mai napig van egy szép heg a felkarján. Én vagyok az egyetlen, aki megúszta, mondván, hogy az Albrektsson-gének kontrollcsoportjaként szükségük volt rám”.

Gösta Larsson göteborgi lakos 1965-ben kapta meg a legelső fogászati implantációs műtétet, amikor négy alsó állkapocscsonti titánimplantátumot ültettek be, amelyek egy teljes, rögzített ívű fém-gyanta protézist tartottak. Larsson fogászati implantátumai mintegy 40 évvel későbbi haláláig jól szolgálták őt. Brånemark professzort, aki sosem volt híres arról, hogy szépen fogalmazott volna, így idézték: „Soha nem éreztem habozást. Göstának nagy szüksége volt rá, és én úgy éreztem, hogy meg tudunk felelni neki, így hát belevágtunk.”

A hagyományos bölcsesség ellenében dolgozni

A mai fogászati újítók megérthetik a kezdeti szkepticizmust, amelyet Brånemark professzor a korabeli orvostársadalom részéről kapott. Az oszteointegráció mint életképes orvosi eljárás elfogadásához vezető út a hagyományos orvosi bölcsességgel ellentétes volt, amely szerint a szervezet végső soron elutasítja az idegen anyagokat. Számos támogatási kérelmet elutasítottak, mígnem az amerikai Nemzeti Egészségügyi Intézettől támogatást kapott a fogászati implantátumok csontszövetbe való beültetésének fejlesztésének tanulmányozására. Brånemark professzor fogászati implantátumrendszerét 1970-ben engedélyezte a svéd Nemzeti Egészségügyi és Jóléti Hivatal, és a rendszer kereskedelmi forgalomba hozatala 1981-ben kezdődött, amikor Brånemark professzor társult az újonnan alapított Bofors Nobelpharmával, amely később egy másik, ismertebb névvel vált ismertté: Nobel Biocare. Brånemark professzor 1982-ben a torontói Osseointegration in Clinical Dentistry konferencián egy mérföldkőnek számító előadásban mutatta be klinikai eredményeit, majd az amerikai Élelmiszer- és Gyógyszerügyi Hivatal gyorsan engedélyezte rendszerének használatát az Egyesült Államokban. Ma már a legtöbb fogorvos ismeri a Nobel Biocare vezető fogászati implantátumgyártó cég eredetét, de mások talán meglepődnek, ha megtudják, hogy ez volt az a jármű, amely végül a világ több millió páciensének szájába juttatta Brånemark professzor fogászati implantátumrendszerét. Amikor Brånemark professzor 2014. december 20-án, 85 éves korában

Göteborgban elhunyt, kitörölhetetlen nyomot hagyott a fogászatban, annak ellenére, hogy soha nem tanult vagy gyakorolta ezt a szakmát. Az ortopédia és a fülgyógyászat területén is maradandót alkotott, és számos nemzetközi elismerésben részesült, mint például 1992-ben a Svéd Orvostudományi Társaság Söderberg-díja, 2003-ban a madridi Európai Egyetem díszdoktori címe, 2012-ben pedig a Greater New York Academy of Prosthodontics életműdíja. Most, hogy a nemzetközi fogászati közösség a 21. század egyik legnagyobb orvosi újítója nélkül töltött tíz évet, hadd gondolkodjunk el azon a bevezetőn, amelyet Richard Johns professzor, az Egyesült Királyság-beli Sheffieldi Egyetem dékánja adott Brånemark professzornak, amikor 1992 áprilisában átadta neki a tudományok tiszteletbeli doktora címet. George Bernard Shaw Az orvos dilemmája című színdarabját idézve Johns professzor azt mondta: „Az értelmes ember alkalmazkodik a világhoz: az észszerűtlen kitartóan próbálja a világot önmagához igazítani.” Brånemark professzor, tette hozzá, valóban az utóbbi volt.

Röntgenfelvétel Brånemark professzor első implantációs műtétjéről, amely egy nyúl síp- és szárkapocscsontjába ültetett implantátumot mutat. (Kép: CC BY 3.0, változtatás nélkül)

A cikk „Dr. Per-Ingvar Brånemark: The father of modern dental implantology” címmel jelent meg online a Cureus 2024. november 18-i számában. DT

A új cikkgyűjteményében kiemeli a fogászati szakemberek mentális egészségét

A fogorvosról az átlagember azt gondolhatja, hogy egy meglehetősen jóindulatú személyiség. Bármilyen félelmekkel és aggodalmakkal kell is szembenézni páciensként, a fogorvos ott van, hogy hatékony és remélhetőleg gondoskodó módon segítséget nyújtson. A páciens azonban ritkán gondol arra, hogy a fogászat valójában sokatmondó árat fizethet a fogorvosok lelki egészségéért. A fogorvosokat fenyegető pszichológiai veszélyekre való figyelemfelhívás élharcosa a British Dental Journal (BDJ), amely a közelmúltban új cikkgyűjteményt jelentetett meg a témában.

Az új gyűjtemény fontos lépést jelent a fogászati szakemberek mentális egészségének előtérbe helyezése felé. (Kép: Marcin Balcerzak/Shutterstock)

Az elmúlt években jelentősen nőtt a mentális egészség elismerése és tudatosítása a társadalomban. A mentális egészséggel kapcsolatos

kihívásokat ma már joggal tekintik a mai élet normális és rutinszerű aspektusának, különösen a városi környezetben. Ezért nem meglepő,

hogy a közelmúltban készült tanulmányok szerint a fogorvosi hivatás „nagy stresszel járó hivatás, ahol magas a szorongás, a depresszió, a kiégés, az öngyilkossági gondolatok és az önkárosítás aránya”. A cikk szerzője így folytatta: „A krónikus munkahelyi stressz egyre nagyobb aggodalomra ad okot, mivel súlyosan károsíthatja a fogászati szakemberek mentális egészségét, és negatívan befolyásolhatja a megfelelő ellátás nyújtására való képességüket”.

A BDJ ezzel a kialakulóban lévő fókusszal összhangban elindított egy cikkgyűjteményt azzal a céllal, hogy a témával kapcsolatos kutatásokat egy központi helyen gyűjtse össze. A gyűjteményt az Egyesült Királyság

fogászati klinikáin dolgozó fogorvosi rendelővezetők és recepciósok mentális egészségéről szóló alapvető tanulmány közzétételével egy időben hozták létre, és célja nemcsak az, hogy felhívja a figyelmet a fogászatban rejlő pszichológiai kockázatokra, hanem az is, hogy elősegítse a pozitív, kiegyensúlyozott és egészséges munkakörnyezet kialakulását, amelyben a fogászati szakemberek teljes életet élhetnek. Bár soha nem lehet elvárni, hogy a stresszt kiiktassuk a modern munkakörnyezetből, a BDJ-t meg kell dicsérni azért, mert hangsúlyosan a fogászati szakemberek figyelmébe ajánlja ezt a fontos kérdést, ami az első fontos lépés az e téren folyó küzdelmek javításában. DT

Per-Ingvar Brånemark professzor 1929-ben született a svédországi Karlshamnban, és annak ellenére, hogy soha nem tanult vagy nem
Dental Tribune International

pulpa terápiás készítmény

és helyreállító anyag egyszerre, egyetlen termékben

Direkt pulpa sapkázás

Indirekt pulpa sapkázás

Pulpotómia

Hivatalos Forgalmazók:

Töltse fel a Bio-Bulk Fill eljárást a mély szuvasodás helyreállításához

AZ ALPHA IMPLANT KFT. MÁR 15 ÉVE AZ ÖN MEGBÍZHATÓ PARTNERE

A minőség a siker garanciája

alphaimplant.hu

Turn static files into dynamic content formats.

Create a flipbook
Issuu converts static files into: digital portfolios, online yearbooks, online catalogs, digital photo albums and more. Sign up and create your flipbook.