Dental Tribune 2023/1

Page 1

The World‘s Dental Newspaper

www dental-triBune com

IRÁNYVONALAK, ALKALMAZÁSOK

A szabadkézi preparációhoz képest bármilyen típusú navigáció nagyobb pontosságot eredményez, különösen nehezített esetekben. A CBCT és a fogászati szkennerek ma már széles körben elérhetők a fogorvosi rendelőkben vagy a praxisfüggetlen szolgáltatásoknál.

A betegnyilvántartások összevonása lebontja a fogászat és az orvostudomány közötti korlátokat

GYAKORLÓ FOGORVOS AJÁNLJA

A fogatlan állcsont implantációs pótlással történő rehabilitációja egy megbízható és széleskörűen elfogadott kezelési eljárás. Az atrófiás maxilla esetében az implantátum behelyezését olyan tényezők nehezíthetik meg, mint például a fogvesztést követő csontfelszívódás...

SZÍNES HÍREK A NAGYVILÁGBÓL

Szakmánk olyan globális problémákkal is foglalkozik, amelyek ritkán javulhatnak meg maguktól. Valójában a legtöbb fogászati probléma egyre nagyobb kihívást jelent, hacsak nem avatkozunk be a fogászati kezelésekbe.

Nem hagyták válasz nélkül

Katona József

Dental Tribune International

A fogászat és az orvostudomány közötti fokozott interdiszciplinaritás szükségessége a betegek javára újra és újra bebizonyosodott. Az első lépést e cél felé a Kaliforniai Egyetem San Franciscóban (UCSF) tette meg az orvosi és a fogorvosi nyilvántartások egyetlen elektronikus egészségügyi nyilvántartásban való egyesítésével. Ettől a folyamattól azt várják, hogy a klinikusok személyre szabottabb és átfogóbb ellátást nyújthatnak a pácienseiknek.

A szájüregi egészségi állapot és az általános egészségi állapot közötti összefüggéssel számos tanulmány foglalkozott. A legújabb kutatások a rossz szájüregi egészséget különböző betegségekkel és állapotokkal hozzák összefüggésbe, beleértve a cukorbetegséget, a kognitív hanyatlást és a demenciát, a rákot, a szívés érrendszeri betegségeket és a COVID-19-et. Bár az adatok nagyon egyértelműek, a klinikusok számára nehéz volt az átfogó képet vizsgálni.

„Tudjuk, hogy a szájüregi egészség számos betegségre hatással van, a szívbetegségektől a koraszülésig, de eddig az egészségügyi szolgáltatóknak nehéz volt ezeket az öszszefüggéseket az egyes betegek esetében felismerni. [Az orvosi és fogorvosi nyilvántartások integrá-

ciója] az a fajta integráció és innováció, amely segít nekünk abban, hogy a legújabb tudományos eredményeken és az egyedi szükségleteiken alapuló világszínvonalú ellátást nyújtsunk a betegeknek” – nyilatkozta dr. Michal Reddy, az UCFS Fogorvosi Karának dékánja a sajtóközleményben.

December elejétől az egyetemi egészségügyi központban és fogászati klinikán ellátásban részesülő betegek egészségügyi és fogászati adatai elektronikus nyilvántartási rendszeren keresztül lesznek elérhetők a klinikusok számára, lehetővé téve számukra, hogy szélesebb körű képet kapjanak pácienseik általános egészségi állapotáról, és együttműködhessenek más szakterületek klinikusaival. Ezen túlmenően a betegek egy helyen férhetnek majd hozzá mindkét nyilvántartáshoz, valamint az adott kezelési időpontokhoz.

Suresh Gunasekaran, az UCSF Health elnök-vezérigazgatója elmondta: „Ez a kapcsolat teljesebb képet ad az UCSF Health és az UCSF fogászati klinikusainak a pácienseik egészségügyi adatairól, beleértve a közös gyógyszerlistát is, és új lehetőségeket biztosít az ellátás összehangolására.”

Hozzátette: „Tekintettel a szájüregi egészség és az általános jólét közötti szinergikus kapcsolatra, a szájüregi és orvosi ellátás átfogó megközelítése észszerű, és az UCSFet arra pozicionálja, hogy vezető szerepet töltsön be a fogászat és az orvostudomány közötti korlátok lebontásában.”

Van fegyverük, s nem félnek használni – erre emlékeztette a politikai döntéshozókat február első szombatján a Magyar Orvosi Kamara Országos Küldöttközgyűlése, amikor a követeléseik megfogalmazása mellett az azokat támogató nyomásgyakorlás eszközeiről is döntött.

Az azonnali követeléseik olyan „korrekciók, melyek biztosítják, hogy az egészségügyi dolgozók nyugodtan tudják munkájukat végezni, a figyelmüket a beteg kösse le, ne a kiszámíthatatlanság”. Ezek sorában a legelső az, hogy a szakdolgozók béremelését már idén januárral kezdjék meg. Igénylik továbbá az év végén elfogadott „reformjogszabályok” azonnali korrekcióját. Ez egyebek mellett érintené a házi- és fogorvosi praxisok esetében a működési költségek teljes kompenzálását, az alapdíj visszaállítását, az indikátorrendszer felülvizsgálatát, a szakellátóknál az alapbércsonkítás és a korlátlan időtartalmú áthelyezés lehetőségének visszavonását, az elvett pótlékok visszaadását... Hosszabb távon pedig nem kevesebbet kíván a kamara, mint az

egészségügyi rendszer újratervezését az érdekelt társadalmi, tudományos és politikai erők részvételével.

S azt várják, hogy ez a parlamenti ciklusokon is átívelő átalakítás ez év végéig törvényi megerősítést is kapjon.

Ahogy a MOK jellemezte a jelenlegi fordulatot: „A magyar orvosok és szakdolgozók eddig a hátukon vitték a rendszert önként vállalt túlmunkájukkal, de a továbbiakban ezt csak akkor fogják vállalni, ha elindulnak a gyógyítás érdekét szolgáló változások.” Ezért a küldöttgyűlés arra szólította fel az alapellátásban dolgozókat, hogy amíg a követeléseik nem teljesülnek, addig ne írják alá az új ügyeleti szerződéseket, vagy azok felmondását helyezzék letétbe a kamara területi szervezeteinél. A szakellátásban dolgozók hasonló – az önként vállalt többletmunka-szerződéseiket érintő – felszólítást kaptak. Emellett szükségesnek látták azt külön is rögzíteni, hogy „az alapellátó és szakellátó orvosok a közös célért és a szakdolgozók megbecsüléséért közösen

állnak ki, a követelések egy részének teljesülése nem elfogadható.”

Miként jutottunk idáig? Tavaly óta csak halmozódik a feszültség, mióta

megjelentek – a Takács Péter államtitkár szakmai programjaként megismert törvénycsomag elfogadása után – a részletszabályokat rögzítő rendeletek. „Ígérjük, hogy az az attitűd és az az orvosokról alkotott kép, amit a törvény és rendeletei kirajzolnak, nem marad válasz, és az orvostársadalom erejét megmutató reakció nélkül” – fogadkozott akkoriban a kamara elnöksége. Úgy látták, a helyzet egyaránt veszélyezteti a lakosság egészségi állapotát és az orvoskar érdekeit, így indokolt a közös fellépésről dönteni jogosult Országos Küldöttközgyűlés összehívása. A küldötteknek szóló levelükben azt írták a frissen élesített jogszabálycsomagról: „ellentétes az orvosi lét hagyományos szabadságával és értékrendjével, történeti és európai kitekintésben is példátlanul kiszolgáltatottá téve a magyar orvostársadalmat. Életkorra való tekintet nélküli munkára kényszerítés, megyén belüli korlátlan áthelyezés, napi háromórás ingázásra kötelezhetőség, szubjektív szempontok szerint lehetséges bérelvonás: ezek rögtön az első lépések...”

Az új jogszabályok alkalmazásának első tapasztalatai tovább fokozták

” 3. oldal

hirdetés

4. oldal 6. oldal 20. oldal (Kép: lucadp/Shutterstock) Budapest, 2023. feBruár X i X. évfolyam, 1. szám

Kónuszos felépítmény kapcsolat

Kisebb mikromozgás

Erősebb és egyenletesebb csatlakozás

Platform switching

KIZÁRÓLAGOS MAGYARORSZÁGI FORGALMAZÓ
www.alphaimplant.hu

a feszültséget. A nyugtalanító hírek között volt szó egy-egy kórházátalakítást követő pótlékelvonásról, vagy alacsonyabb illetményű besorolásról, ahogy azonnali átvezénylést megengedő szerződésmódosítás aláíratásáról is... „Tekintettel arra, hogy az irányítás központosított lett, ezek a hatások várhatóan mindenhol megjelennek majd” – figyelmeztette a küldötteket a MOK elnöksége. S hozzáfűzték – mintegy önbiztatásként is –, hogy „Az orvosokat az egészségügy hiányosságaiért bűnbakká tevő, a betegbiztonságot veszélyeztető folyamatot most kell megállítani, az egészségügy átalakítását új irányba terelni, az ezzel kapcsolatos jogszabályokat az orvostársadalommal konszenzusban kialakított tartalommal megtölteni.”

Az év végi rendeletcsomag különösen nehéz helyzetbe hozta az alapellátó fogorvosokat. Nem csak hogy továbbra is elmaradt régi sérelmeik (mint például a rezsitámogatásuk lemaradásának) orvoslása, hanem még új bajokat is kaptak a nyakukba. S annak már nem csak a gazdálkodásuk láthatja kárát, hanem a

betegek is, ahogy ezzel az ATV egy február eleji riportja is szembesített.

Abban arról volt szó, hogy vállalkozó orvosok híján régóta mennyire nehéz megoldani a kistelepülések polgárainak fogászati ellátását. Az ott idézet Wigand Csilla fogorvos jelezte, hogy ez aligha lesz könnyebb a jövőben, ha áprilistól megszűnik az alapdíj, amiből fizették a könyvelőt, az asszisztenciát, a rezsit és a megnövekedett áru tömőanyagot. „Ha ezt is kihúzzák a lábunk alól, akkor nem tudjuk, miből lehet egyáltalán ellátni a lakosságot.”

Az ágazatban halmozódó feszültséget az is csak fokozta, hogy miközben az orvosok januártól rendben megkapták a korábban

ígért béremelést, a szakdolgozók a magukéra – ami amúgy az infláció ellensúlyozására sem elegendő – csak júliustól számíthatnak.

Így az év elején minden korábbinál tágabbra nyílt a bérolló az egyébként a napi munkában egymásra utalt szakemberek között. A szakdolgozói alapbér átlaga jelenleg az orvosinak csupán a 21 százaléka. (Míg a kormány szerint is 37 százalék lenne a kívánatos és az európai átlagnak megfelelő.)

A kialakult helyzet miatt január végén sztrájktárgyalást kezdeményezett a miniszterelnöknél a Független Egészségügyi Szakszervezet, s egyúttal elkezdték felmérni, hogy tagjaik milyen nyomásgyakorlásra hajlandóak az azonnali béremelésért.

Ezt követően sajtóérdeklődésre az is kiderült, hogy az MSZ EDDSZ, azaz a Cser Ágnes elnök nevével fémjelzett szakszervezet is kezdeményezte a Covid miatt felfüggesztett sztrájktárgyalásuk felélesztését.

A szakdolgozói kamara (MESZK) az államtitkártól kért újabb egyeztetést, amint kiderült, hogy tagjai nem számíthatnak januári emelésre. Egyúttal rögzítették is, hogy mit kívánnak: 35%-os béremelést erre az évre, 25%-ost a következőre, s ezek mellett a jelenlegi pótlékok megtartását. A találkozó után annyit könyveltek el eredményként, hogy az idei béremelésnél még megmaradnak a pótlékok, illetve minden szakterületen azonos százalékkal nőnek a bérek. A következő lépcsőnél alkalmazott differenciálás alapjait pedig együtt fogják kidolgozni a kormány embereivel. Ugyanakkor a tekintetben semmit nem értek el, hogy az idei júliusi emelést majd

visszamenőleg is kifizessék a dolgozóknak.

Két héttel az orvoskamarai rendkívüli közgyűlés előtt levelet írt az államtitkár a köztestületnek. S abban „stratégiai partnerségi megállapodásra” tett ajánlatot a MOK-nak. Az ajánlott partnerség lényege, hogy a felek együttműködnek jogszabályok előkészítésében és felülvizsgálatában néhány meghatározott területen. Ahogy a tervezet fogalmaz:

„A társadalmi egyeztetés a jó állam alapvető feltétele, mert elősegíti a jó minőségű és az életviszonyoknak megfelelő jogszabályok megalkotását, valamint a jogszabályokkal érintett társadalmi rétegek képviseletét a jogszabály-előkészítés során, ezzel is biztosítva az elfogadott jogszabályok lehető legnagyobb legitimációját”.

Kincses Gyula kamarai elnök válaszában felidézte, hogy a korábban többé-kevésbé eredményes együttműködés 2022 őszén megbicsaklott. Példának hozta fel, hogy az egészségügy átalakítására készült törvénycsomag úgy került a kormány elé, hogy annak tartalmát a kamara nem ismerhette. S hiába fogalmaztak meg utóbb több száz oldalnyi véleményt és javaslatot, azokat

Az ADA új ismereteket tár fel az intraorális készülékek egyre szélesebb körű használatáról

Dental Tribune International

Az intraorális készülékek egyre szélesebb körű alkalmazása miatt sok amerikai fogorvos rendszeresen biztosítja ezeket páciensei számára. Az Amerikai Fogászati Szövetség (ADA) friss kutatása számos, a kategóriát érintő felismerést tárt fel, például azt, hogy a hagyományos gyártási módszerek továbbra is népszerűbbek, mint a digitálisak.

Az információkat az ADA Clinical Evaluators Panel 286 tagja körében végzett felmérésből nyerték. Az ADA szerint az olyan állapotok számának növekedése, amelyek esetében az intraorális készülékek kezelési lehetőségként alkalmazhatók, a készülékek nagyobb választékát és a készülékek gyártási lehetőségeinek bővülését eredményezte.

Még akkor is, ha a kivehető részleges fogsorokat nem vették figyelembe, a válaszadók túlnyomó többsége (88%-a) azt mondta, hogy intraorális készülékeket biztosít pácienseinek. A felmérésből kiderült, hogy 38% naponta, 42% hetente legalább egyszer, 16% pedig havonta néhányszor biztosította őket. A válaszadók mindössze 3%-a mondta azt, hogy csak ritkán, évente néhány alkalommal biztosítottak intraorális készülékeket.

A válaszadók által leggyakrabban kínált készülékek a fogív tálcák fogfehérítéshez (88%), majd a reten-

ciós (helybentartó)

készülékek (83%), a sín (81%), a sportfogvédők (72%), a hagyományos fogszabályozók (60%), a fluorid tálcák (56%) és a clear alignerek (55%). Ami a gyártási folyamatot illeti, a fogorvosok 72%-a fogászati asszisztens segítségét vette igénybe a lenyomatvétel és a modellkészítés során. A laboratóriumi technikusok az esetek 76%-ában készítették el a készülékeket, és a legtöbb fogorvos (97%) részt vett a készülékeknek a páciensekhez való eljuttatásában.

Az intraorális készülékek választékának és alkalmazási lehetőségeinek bővülése oda vezetett, hogy az amerikai fogorvosok több mint egyharmada napi rendszerességgel biztosítja ezeket a pácienseknek - derül ki az Amerikai Fogászati Szövetség friss kutatásából. (Kép: Elizaveta Galitckaia/Shutterstock)

készülékek használatát?

Az ADA szerint az intraorális készülékek alkalmazásainak és munkafolyamatainak bővülése ellenére a hagyományos gyártás még mindig népszerű a legtöbb fogorvos körében. „Az eredmények […] azt sugallják, hogy a hagyományos és digitális intraorális készülékgyártási munkafolyamatok keveréke van haszná-

latban, a hagyományos módszerek körülbelül négy az egyhez arányban felülmúlják a digitális módszereket a lenyomatok, modellek és gyártási módszerek tekintetében” – írta a szövetség. Arra a kérdésre, hogy milyen változások történtek az elmúlt öt évben a klinikáikon az intraorális eszközök tekintetében, 56% említette az intraorális szkennert, 43% mondta, hogy a fogszabályozó eszközök választéka bővült, 36% a digitális munkafolyamatokat, 34% pedig a 3D nyomtatást.

A válaszadók csaknem mindegyike (90%) továbbképző tanfolyamokon, 84%-a fogorvosi tanulmányok során, 55%-a nyomtatott vagy webes médiából, 32%-a pedig rezidens-

szinte kivétel nélkül figyelmen kívül hagyták. Hasonló tapasztalatot szereztek később a törvényt a napi gyakorlatban érvényesítő rendeletek kiadásakor is.

Az elnök így az ajánlatra azt válaszolta, hogy továbbra is érdekeltek a szakmai együttműködésben, de a kamara szerint az nem egy „PR jellegű megállapodáson” múlik. De nyitva hagyta ezt az ajtót is, amikor jelezte: ha a rendkívüli küldöttközgyűlésen elfogadottakról „érdemi és eredményes párbeszéd indul meg, úgy ennek kerete lehet a stratégiai partnerségi megállapodás megkötése".

A belügyi tárca első reakciója nem ígért gyors egymásra találást. A küldöttgyűlés másnapján Takács Péter államtitkár rendkívüli sajtótájékoztatóján a kamarát tette felelőssé a fokozódó feszültségért. Az ágazat állapotáról és a teendőkről magabiztosan nyilatkozott. Ahogyan a 444 idézte: „ A magyar egészségügy jól teljesít, a Covid-hullámok alatt is jól teljesítettünk, és erre a szervezettséget kell tovább erősíteni. Természetesen bőven van munka, de mindvégig nyílt lapokkal játszottunk és tudjuk, hol kell belenyúlni a rendszerbe.” DT

IMPRESSZUM NEMZETKÖZI SZÉKHELY

FELELŐS KIADÓ ÉS VEZÉRIGAZGATÓ:

Torsten OEMUS

TARTALOMÉRT FELELŐS IGAZGATÓ:

Claudia Duschek

Dental Tribune International GmbH

Holbeinstr. 29, 04229 Leipzig, Germany

Tel.: +49 341 4847 4302

Fax: +49 341 4847 4173 Általános információ: info@dental-tribune.com

Hirdetésfelvétel: mediasales@dental-tribune.com www.dental-tribune.com

A Dental Tribune International GmbH azon anyaga, amelyet újra nyomtattak vagy lefordítottak és újból kinyomtattak ebben a kiadásban a Dental Tribune International GmbH szerzői jogi védelme alatt áll. Az ilyen anyagokat a Dental Tribune International GmbH engedélyével lehet csak közzétenni. A Dental Tribune a Dental Tribune International GmbH védjegye. Minden jog fenntartva. © 2023 Dental Tribune International GmbH. A Dental Tribune International GmbH előzetes írásbeli engedélye nélkül bármilyen módon, egészben vagy részben történő sokszorosítása kifejezetten tilos.

A Dental Tribune International mindent megtesz annak érdekében, hogy a klinikai információkat és a gyártók termékeiről szóló híreket pontosan adja közre, nem vállal azonban felelősséget a termékekről szóló állítások helytállóságáért vagy a nyomdahibákért. A kiadó nem vállal továbbá felelősséget sem a terméknevekért vagy -leírásokért, sem a hirdetők közleményeiért. A szerzők által kifejtett véleményt a sajátjuknak kell tekinteni, és azok semmi módon nem tükrözik a Dental Tribune International véleményét.

képzés során szerzett jártasságot az intraorális készülékekkel kapcsolatban.

Dr. Kevin Frazier, a jelentés társszerzője a sajtóközleményben úgy nyilatkozott, hogy az eredmények azt mutatják, hogy az intraorális készülékek „a fogászati gyakorlat rutinszerű részévé” válnak, és hogy a gyártáshoz kapcsolódó alkalmazások és munkafolyamatok egyre nagyobb számban fordulnak elő. „Valószínűleg folyamatos és növekvő érdeklődés mutatkozik a technológiai fejlődéssel kapcsolatos releváns tanulási lehetőségek és az intraorális készülékek egyre változatosabb alkalmazási listája iránt” – foglalta össze dr. Frazier. DT

KIADJA: DP HUNGARY KFT. 1012 Budapest, Kuny Domokos u. 9.

FELELŐS KIADÓ: Laczkó Tamás

SZAKFORDÍTÓ: Laczkó Leonard

NYOMDAI ELŐKÉSZÍTÉS: DP Hungary Kft.

NYOMDAI KIVITELEZÉS: Pharma Press Nyomdaipari Kft.

ADATEGYEZTETÉS, INFORMÁCIÓ: Bárdos Veronika, 06-30-472-0030

HIRDETÉSFELVÉTEL: Laczkó Tamás, 06-30-472-0030

ISSN 1786-9889

3 Dental Tribune Hungary Edition | 2023/01 EGÉSZSÉGPOLITIKA
“ 1. oldalról
Hogyan befolyásolja a digitális technológia az intraorális

Kalcifikált felső metszőfog kiszámítható

gyökérkezelése 3D-nyomtatott fúrósablon segítségével

Dr. Benyőcs Gergely

Absztrakt

A szabadkézi preparációhoz képest bármilyen típusú navigáció nagyobb pontosságot eredményez, különösen nehezített esetekben. A CBCT és a fogászati szkennerek ma már széles körben elérhetők a fogorvosi rendelőkben vagy a praxisfüggetlen szolgáltatásoknál. A sebészi és nem sebészi endodonciai célú fúrósablonok tervezését és 3D-nyomtatását jellemzően a navigált implantátumbehelyezésre specializálódott cégek végzik. Az alábbi esetbemutatás lépésről lépésre ismerteti egy felső nagymetsző kalcifikált pulpakamra és gyökércsatorna miatt kihívást jelentő gyökérkezelését.

A 3D-nyomtatott statikus guide használata – a megfelelő fúróval és CNC-persellyel – lehetővé tette a kiszámítható kezelést, miközben segített a dentin maximális megőrzésében. Kulcsszavak: navigált endodoncia, 3D-nyomtatott sablon, statikus guide, konzervatív endodoncia, minimálinvazív endodoncia, betegközpontú megközelítés.

Bevezetés

A pulpakamra és a gyökércsatorna-rendszer meszesedése (pulp canal calcification – PCC) fogászati traumák következményeként vagy időskorban fordul elő1-3, és általában a másodlagos és harmadlagos dentin képződése miatt alakul ki. Más forrás szerint a fogszabályozási kezelés is kiválthatja vagy felgyorsíthatja a másodlagos dentinképződést.4-5

Habár a PCC a pulpa vitalitását jelzi, ezért gyökérkezelést nem szabad elvégezni, hacsak nincs klinikai és radiográfiai bizonyíték a pulpanekrózisra, hosszú távon a nekrózis általában a PCC-vel rendelkező fogak 33%-át érinti.6 Ezekben az esetekben a hozzáférés és a megmunkálás nagy kihívást jelent, és nagy a hibaarány, különösen a keskenyebb fogaknál.7 Az Endodontusok

Amerikai Társasága (American Association of Endodontists) a kalcifikált fogak kezelését „magas nehézségi” fokúnak minősíti.8

A beszűkült gyökércsatorna keresése még nagyítás mellett is túlzott dentineltávolításhoz vezethet, ami veszélyezteti a fog biomechanikai integritását és rontja a hosszú távú prognózist. A digitális fogászat széles körű elterjedése, különösen a 3D-szkennelés és -nyomtatás ma már lehetővé teszi a PCC által érintett fogak ellátásának új megközelítését egy olyan nyomtatott sablon segítségével, amely irányítja a fúrót.10-11 A következő esettanulmány ezt a technikát mutatja be.

A DICOM és az STL fájlok egyesítése, a fúrási útvonal virtuális meghatározása.

Esetbemutatás

A rendelőnkbe referált 48 éves nőbeteg spontán fájdalomról és érzékenységről számolt be a jobb felső középső metszőfogra történő ráharapáskor. A kórtörténetben nem szerepelt trauma, illetve az általános anamnézis sem tárt fel releváns megbetegedést. A klinikai vizsgálat során a 11-es fog elszíneződése volt látható, és purulens duzzanat a vestibulum területén a fog gyökércsúcsának megfelelően (1. ábra). A palpatio és percussio pozitív választ adott, míg a szenzitivitásvizsgálat negatív lett. A hozott röntgenfelvételen radiolucens lézió volt látható a 11-es fog körül. A fogbélűr kiterjedésének csökkenése, valamint a pulpakamra és a gyökércsatorna meszesedése is megfigyelhető volt. A diagnózis pulpanekrózis akut periapikális tályoggal.

A szituáció elmagyarázását követően vázoltam a páciensnek a kezelési lehetőségeket, beleértve a nem sebészi gyökérkezelést és a sebészi endodonciai beavatkozás lehetőségét, valamint a fogeltávolítást és implantátumbehelyezést. A kockázatok átbeszélése után a páciens, megértve a lehetőségeket, az orthográd gyökérkezelést választotta. Az eset bonyolultsága miatt 3D-nyomtatott statikus navigációt javasoltam, és mivel 2 nap szükséges a tervezéshez és a nyomtatáshoz, sürgősségi incíziót és drenázst végeztem, valamint fájdalomcsillapítót (Diclofenac 50 mg, TID 3 napig, Novartis Magyarország) rendeltem. Kis térfogatú (5x5) CBCT-felvételt készíttettem (CS8100 3D, Carestream, Onex Corporation), és lenyomatot vettem (Aquasil Soft Putty

A nyomtatott guide in-situ. A szükséges interokkluzális helyigényt a fúrót bepróbálva ellenőriztük.

A nyomtatott fúrósablon stabilitásának ellenőrzése a mintán. A fúró dimenzióstabilitása is kontrollálásra került.

A bemenetkialakítás kezdőpontját a fúrósablonon keresztül jelöltük meg egy fúró segítségével. A zománc fúrása szabad kézzel jelölés alapján történt.

6

A fúró pozíciójának és a fúrásmélységnek az ellenőrzése. – 8. ábra: Tűs kontroll (Sirona Heliodent Plus/Sirona Xios XG Supreme, Sirona Dental Systems, Bensheim,Németország).

a tervezett mélységig. Piros nyíl: a fúró hegyének helye. Zöld nyíl: a fellelt gyökércsatorna. Ez a pontatlanság egyezik az irodalmi adatokkal. – 7.

4 Dental Tribune Hungary Edition | 2023/01 IRÁNYVONALAK, ALKALMAZÁSOK
1. ábra: Pre-op felvételek. 2. ábra: 3. ábra: 4. ábra: 5. ábra:
8
6. ábra: Fúrás ábra:
7

Regular Set, Ultra Plus XLV, Dentsply Sirona).

A laboratóriumban elkészült mintát beszkennelték (iMetric d104i, Imetric 4D Imaging), majd a szkennelési adatokat tartalmazó STL-fájlok és a CBCT-adatokat tartalmazó DICOM-fájlok a CoDiagnostix tervezőszoftverbe (Dental Wings) kerültek feltöltésre. A szegmentálás („zajmentesítés”) és az igazítás után egy virtuális fúrási útvonalat hoztunk létre, és ennek megfelelően beállítottuk a virtuális fúrót. A fúrási irányt úgy határoztuk meg, hogy a gyökércsatorna első látható részét érintse (2. ábra)

A 3D-nyomtatással elkészített fúrósablonba (Form 2, Formlabs) beillesztették a számítógépes vezérléssel (CNC) tervezett és elkészített egyedi fúróperselyt.

Navigált bemenetkialakítás és gyökérkezelés

A guide stabilitását először a mintán, majd szájban ellenőriztem, illetve az 1 mm-es pilot fúró (Meisinger pilot implantátum fúró – Hager & Meisinger, Neuss, Németország) dimenzióstabilitását is kontrolláltam (3., 4. ábra)

A fúrás kezdőpontját a fúróperselyen keresztül vékony gyémántfúróval jelöltem a zománcon. A jelölőfúró átmérőjének – a persely megóvása érdekében – 1 mm-nél keskenyebbnek kell lennie. Ezután szabad kézzel átfúrtam a zománcot (5. ábra).

A dentint ismét a guide segítségével preparáltam (EndoExplorer EX1 – Ko-

met Dental). A megfelelő hűtés érdekében a fúrást 1-2 mm-enként megszakítottam, a fúrót megtisztítottam és az üreget sóoldattal átöblítettem. A tervezett mélység elérése után a fúróvezetőt eltávolítottam és abszolút izolálást helyeztem fel, melyet folyékony kofferdammal tökéletesítettem (Ultradent Products). A gyökércsatornát a fúró hegyéhez képest oldalirányban leltem fel (6-7. ábra)

A gyökérkezelés ezt követően eseménytelenül zajlott. Egy ülésben, 0.08 és 0.10 C-pilot fájlokkal (VDW) történő felderítést követően rozsdamentes acél kézi fájlokkal 25-ös méretig munkáltam meg a csatornát (ReadySteel FlexoFiles, Dentsply Sirona Endodontics). Az

átöblítéshez 5,25%-os nátrium-hipokloritot használtam a megmunkálás során (Chloraxid 5,25% – Cerkamed), és 17% EDTA-t a végső átöblítés során (EDTA Solution Cerkamed). Az átöblítő szerek között, illetve zárásként fiziológiás sóoldattal öblítettem. A gyökértömést meleg vertikális kondenzációs technikával végeztem el guttapercha és AH Plus sealer (Dentsply Sirona Restorative, Konstanz, Németország) felhasználásával (8-10. ábra). Az orificiumot üvegionomer cementtel (Ketac Molar, 3M-ESPE) zártam. A pulpakamrát belső fehérítés céljából 2 hétig fehérítőanyaggal (Opalescence-Endo, Ultradent Products) töltöttem fel és üvegionomer cementtel fedtem. Újabb két hét várakozást követően üvegszál-erősítésű műgyanta csapot (1.35 mm Glasix) rögzítettem a fogba self-adhezív univerzális

rezin cement segítségével (Rely-X Unicem, 3M-ESPE), és kompozit fedőtömést készítettem (Gradia Direct, GC, Tokió, Japán).

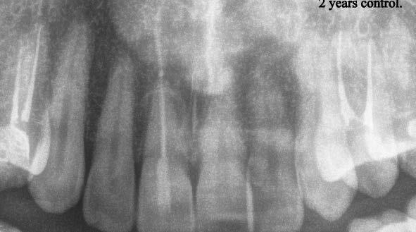
A páciens panaszai a kezelést követően megszűntek. A 11. és 12. ábrán a hat hónapos, illetve a kétéves kontroll látható.

Megbeszélés

A modern endodonciai szemlélet a konzervatívabb, kevésbé invazív eljárások és technikák felé irányul, és egyre inkább áthatja a graduális és posztgraduális oktatást is. Ez a filozófia összhangban van az endodonciai kezelés általános céljaival, amely nemcsak az apikális parodontitis megelőzése és/vagy megszüntetése, hanem az egészséges fogszövet hosszú távú, illetve a természetes fogak élethosszig tartó megőrzése is. Ez annál is fontosabb, mert a lakosság élettartama növekszik, és a fogaknak több mint 80 évig kell szerepüket betölteniük. A különböző fogpótlások, kompozit tömések és a kalcifikáció kihívásokat jelentenek, és olykor ellehetetlenítik a gyökérkezelés kivitelezését. Ilyen összetett esetekben a navigált endodoncia hasznos segítség lehet általános fogorvosok, sőt még az endodontus szakorvosok számára is. Az elmúlt években számos publikáció igazolta a statikus navigáció megvalósíthatóságát, főleg kalcifikált frontfogak esetében.10,12 A bemutatott technika azért kiemelten érdekes, mert például az alsó metszőfogak esetében, ahol nem vagy csak részben fellelhető gyökércsatorna, a gyökérkezelés során 71%-os volt a hibaarány.7 A navigált endodoncia alapgondolata lehet a megoldás a trepanáció során bekövetkező kudarcok elkerülésére. Az operációs mikroszkóp széles körű elterjedése, a továbbfejlesztett hőkezelt nikkel-titán fájlok, a CBCT, valamint a statikus és dinamikus navigáció alkalmazása tette lehetővé a páciensközpontú ellátást a fent ismertetett esetben.

Ennek az az oka, hogy a bemenetkialakítás kezdőpontját, illetve a fúrás mélységét és irányát is pontosan meghatározza a sablon.

Elkerülhető a felesleges szöveteltávolítás, pont oda „lyukadunk ki”, ahová szeretnénk. Mindazonáltal figyelmet érdemel, hogy a szakirodalom a fúrás során előforduló pontatlanságokról számol be, ahogy az a 6. és 7. ábrákon is látható. A koronális előtágítás a bemenetkialakítás során különös jelentőséggel bír ennél a technikánál, mérete az észszerűség keretein belül minimalizálható változó kúposságú fájl használatával. A statikus guide előállítása hasonló a navigált implantátumbehelyezéshez használt fúrósablon esetében megismertekhez. A navigált endodoncia pontossága elfogadhatónak tűnik, és lehetővé teszi a pontos hozzáférés kialakítását a gyökér apikális harmadáig a guide segítségével. Néhány tényezőt azonban figyelembe kell venni statikus navigáció tervezése előtt. Az interokkluzális térnek elegendőnek kell lennie a plusz 10 mm-es fúróhossznak, amelyet a fog síkja felett elhelyezkedő fúrópersely helyzete igényel. Ennek megállapítására a pilot fúrót a páciens szájába helyezve ellenőrizzük a rendelkezésre álló helyet. A fémrestaurátumok szintén problémát okozhatnak az ilyen típusú kezelések tervezése során, mivel az általuk okozott műtermékeket befolyásolhatják a DICOM fájlok pontosságát. Azonban kellő tapasztalat birtokában a szkennelési adatok (az intraorális vagy a mintaszkennelésből nyert STL-fájlok) egymásra helyezése segíthet ennek kiküszöbölésében. A statikus guide-ok nem teszik lehetővé nagy sebességű kézidarabok használatát sem.

A fogzománc, kerámia-, illetve fémrestaurátumok átfúrásakor a megfelelő hűtés okozhat problémát. Emiatt érdemes a fúrás kezdőpontját a guide fúróperselyén keresztül megjelölni, majd a sablont eltávolítva szabad kézzel preparálni a dentinig. A dentin elérésekor a guide ismét használható a megfelelő fúróval.

A statikus navigáció fő hátránya, hogy akut esetekben nem alkalmazható, hisz a kezelés megkezdése előtt meg kell várni, hogy marással vagy nyomtatással elkészüljön a guide.

A fentieket figyelembe véve látható, hogy a statikus navigáció bizonyos helyzetekben segíthet, de – legalábbis egyelőre – nem mindegyikben. A technika azonban segít minimalizálni a fogászati kezelések során azt a „nyomot”, amelyet a fogon hagyunk. Ez annál is fontosabb, mivel a mai napig nem ismerünk olyan anyagot, amely az egészséges dentin biomechanikai jellemzőivel rendelkezne. Ezért a saját foganyag megőrzése különösen a pericervikális régióban elengedhetetlen, hogy a hosszú távú funkcionális és parafunkcionális terhelésnek való ellenállást biztosítsuk, valamint szükség esetén esetleges további beavatkozások lehetőségét meghagyjuk.

A dinamikus navigáció ezzel szemben hamarosan forradalmasíthatja mindennapi endodonciai gyakorlatunkat. A statikus navigációtól eltérően itt nincs szükség fúrósablon előállítására. A CBCT adatok alapján megtervezve a fúró avatárja a tér 3

síkjában követhető a képernyőn, és valós időben 3D-ben vezérelhető, hogy éppen annyi fogszövetet távolítsunk el, amennyi a bemenetalakításhoz feltétlenül szükséges. Ezen új eszközök azonban nem helyettesíthetik a megszerzendő szakértelmet, a körültekintő diagnosztikát és a kezelés megtervezését. A minimálinvazív endodontia mindemellett nem lehet öncélú és nem szolgálhatja a közösségi médiában való szereplést. A cikk elkészítésében közreműködött: dr. Molnár Bertold (tervezés) és Mühl Attila (3D nyomtatás).

Irodalomjegyzék

1 Nikoui M, Kenny DJ, Barrett EJ. Clinical outcomes for permanent incisor luxations in a pediatric population: III—lateral luxations. Dent Traumatol 2003;19:280-5

2 Andreasen FM, Zhijie Y, Thomsen BL, et al. Occurrence of pulp canal obliteration after luxation injuries in the permanent dentition. Endod Dent Traumatol 1987;3:103-15.

3 Foreman PC, Soames JV. Structure and composition of tubular and non-tubular deposits in root canal systems of human permanent teeth. Int Endod J 1988;21:27-36.

4 Delivanis HP, Sauer GJ. Incidence of canal calcification in the orthodontic patient. Am J Orthod 1982; 82:58-61.

5 Bauss O, Rohling J, Rahman A, et al. The effect of pulp obliteration on pulpal vitality of orthodontically intruded traumatized teeth. J Endod 2008;34:417-20.

6 Oginni AO, Adekoya-Sofowora CA, Kolawole KA. Evaluation of radiographs, clinical signs and symptoms associated with pulp canal obliteration: an aid to treatment decision. Dent Traumatol 2009;25:620–5.

7 Cvek M, Granath L, Lundberg M. Failures and healing in endodontically treated non-vital anterior teeth with post-traumatically reduced pulpal lumen. Acta Odontol Scand 1982;40:223-8.

8 American Association of Endodontists. Endodontic case difficulty assessment and referral. Colleagues for excellence. Colleagues for excellence 2005. Available at: https://www.aae. org/specialty/wp-content/uploads/ sites/2/2017/06/casedifficultarticle. pdf. Accessed: September 2019

9 Lang H, Korkmaz Y, Schneider K, et al. Impact of endodontic treatments on the rigidity of the root. J Dent Res 2006;85:364–8.

10 Buchgreitz J, Buchgreitz M, Mortensen D, Bjørndal L. Guided access cavity preparation using cone-beam computed tomography and optical surface scans – an ex vivo study. Int Endod J 2016;49:790-5.

11 Zehnder MS, Connert T, Weiger R, Krastl G, Kühl S. Guided endodontics: accuracy of a novel method for guided access cavity preparation and root canal location. Int Endod J 2016;49:966-72.

12 Connert T, Zehnder MS, Weiger R, Kühl S, Krastl G. Microguided endodontics: accuracy of a miniaturized technique for apically extended access cavity preparation in anterior teeth. J Endod 2017;43:787-790.

5 Dental Tribune Hungary Edition | 2023/01 IRÁNYVONALAK, ALKALMAZÁSOK
9. ábra: A gyökértömés készítése. 10. ábra: Kontroll röntgenfelvétel az üvegszálas csappal. – 11. ábra: Hat hónapos kontroll. 12. ábra: Kétéves kontroll. 10 11

Egy minimálinvazív implantációs eljárás a maxilla hátsó részének rehabilitációjára

Biztosan az arcüregemelés a legjobb megoldás?

A fogatlan állcsont implantációs pótlással történő rehabilitációja egy megbízható és széleskörűen elfogadott kezelési eljárás1 . Az atrófiás maxilla esetében az implantátum behelyezését olyan tényezők nehezíthetik meg, mint például a fogvesztést követő csontfelszívódás, a sinus maxillaris kiterjedése, valamint az anatómiai variációk. Az irányított csontregeneráció (arcüregemelés), amely az arcüreg nyálkahártyáját természetes barrierként használja, mára rutineljárássá vált a csontmennyiség növeléséhez2

Bevezetés

Sinus lift során, az arcüreg-nyálkahártya iatrogén eredetű perforációja az egyik leggyakoribb intraoperatív komplikációnak számít, átlagban az esetek 20%-ánál bekövetkezik3,4, és megnöveli az esélyét az esetleges posztoperatív arcüreggyulladásnak, amely vagy a csontpótló bakterális kontaminációja, vagy a graft arcüregbe kerülése miatt alakul ki. Számos tényező járul hozzá egy esetleges perforáció kialakulásához, mint például a nem megfelelő sebészi tapasztalat, a vékony sinus membrán5,6, illetve a komplex arcüreg-morfológia7, ezért a megfelelő kezelési eljárás kiválasztása kulcsfontosságú.

A sinus lift műtét gyakran indokolt annak érdekében, hogy megfelelő méretű és megfelelő tengelyállású implantátumokat helyezhessünk be a maxilla hátsó részébe8. A kezdeti leírások szerint az implantátumok axiális irányú terhelése a természetes fogak terhelésére irányuló teóriákon alapult, ahol a cél, hogy az erők a fog hossztengelyére koncentrálódjanak.

Az implantátumok esetében ez irreleváns, mivel az összetett nyomó-, feszítő- és nyíróerők makroszkópikusan jelen vannak az implantátum minden egyes meneténél9

Az elmúlt évtizedekben a fogászati implantátumok ipara rengeteget fektetett a kutatásba és a fejlesztésbe, hogy olyan, kevésbé invazív kezelési lehetőségeket tudjanak alkalmazni, amelyek alternatívát kínálnak az olyan páciensek kezelésére, akiknél a csont mennyisége és minősége nem megfelelő. Ezzel egy időben számos klinikus felismerte, hogy a csontpótlás sokkal nagyobb morbiditással, többletköltséggel és hosszabb kezelési idővel jár, ebből fakadóan az alternatív kezelést kezdték előnyben részesíteni10,11,12

Az alábbi esetnél egy olyan pácienst szeretnénk bemutatni, akinél a csont-

mennyiség nem volt megfelelő a maxilla hátsó részén, ennek következtében a kezelést rövid implantátummal, továbbá a tuber területére behelyezett ferde implantátummal végeztük. Ez egy pácienscentrikus alternatív kezelési eljárás, annak érdekében, hogy az arcüregemelés elkerülhető legyen.

Esetbemutatás

Kiindulási szituáció

Egy 49 éves, nem dohányzó, egészséges férfi páciens jelentkezett a

rendelőnkben hiányzó 2.6-os és 2.7-es foggal, valamint azzal a panasszal, hogy már lassan egy hete lüktető fájdalmat érez a 2.5-ös fogánál. Megoldást keresett a hiányzó fogak pótlására is. Klinikai intraorális vizsgálat alapján a 2.5-ös fogon egy sérült fémkerámia korona volt, és jelentős mobilitással rendelkezett.

A radiológiai vizsgálat után egyértelműen látszódott, hogy a fogon még nem végeztek gyökérkezelést.

A 2.6-os és 2.7-es fogaknak megfelelő területen az arcüreg kiterjedése jelentős volt, vertikális csont-

Második lehetőség: A 2.5-ös fog eltávolítása és azonnali implantáció. A 2.6-os fog helyére egy rövid implantátum behelyezése. A 2.7-es fog helyére egy implantátum behelyezése ferdén a tuberbe, hogy maximalizáljuk az elhorgonyzását, 6 hét gyógyulási idő a fogpótlás elkészítéséig. Mivel a páciens anamnézisében krónikus és visszatérő arcüreggyulladás szerepelt, azt az opciót, amelyben arcüregemelést végeznénk, elvetettük. A kezelés összes költségét, a műtétek számát, valamint a teljes kezelési időt figyelembe véve, a páciens a második opció mellett döntött.

A sebészi fázis

Helyi érzéstelenítésben a 2.5-ös fog mentén intraszulkuláris metszést végeztünk, hogy minimalizáljuk a lágyszövetet érő traumát az extrakció során. Ezt követően kresztális metszést végeztünk a 2.5-ös fog disztális részétől egészen a tuber végéig, és a teljes vastagságú lebenyt preparáltuk, hogy feltárjuk az állcsontgerincet.

A 2.5-ös fog mentén periotómot haszáltunk, hogy átvágjuk a periodontális rostokat, így a fogat kilazítottuk, hogy ezzel is csökkenthessük a fogó által végzendő laterális mozgások szükségességét, illetve hogy a környező csontot is a legnagyobb mértékben megőrizzük. Nem volt elég csont (anélkül, hogy perforálnánk az arcüreg alapját) ahhoz, hogy abban stabilizáljuk az implantátumot, úgy döntöttünk, hogy behelyezünk egy ∅ 5.0 x 12 mm-es Straumann BLX implantátumot közvetlenül az alveolusba, előfúrás nélkül. Az implantátum menetkialakítása lehetővé tette, hogy a kézidarabbal behajtva, 25 Ncm-es nyomatékot érjünk el, majd racsnis nyomatékkulcs segítségével juttattuk a végső pozíciójába, 80 Ncm-es behajtási nyomatékot mérve (3. és 4. ábrák)

A 2.6-os fog helyén egy 6 mm mély furatot készítettünk a gyártó előírása szerint, a puha csont protokoll lépéseit követve. Egy ∅ 5.0 mm × 6 mm Straumann BLX implantátumot helyeztünk be 50 Ncm-es behajtási nyomatékkal (5. ábra).

mennyiség szignifikánsan csökkent (1. és 2. ábra)

A tervezés

A páciensnek két kezelési lehetőséget ajánlottunk fel:

Első lehetőség: A 2.5-ös fognál a korona eltávolítása, gyökérkezelés, gyökércsapos felépítés és új korona készítése.

A 2.6-os és 2.7-es régiónál külső sinus lift és csontpótlás (bovin eredetű xenograft), majd 6 hónapos gyógyulás.

2.6-os és 2.7-es fogak helyére implantátumbehelyezés, 12 hét gyógyulási idő a fogpótlás elkészítéséig.

A 2.7-es fog helyénél egy disztális irányú, 14 mm mély, ferde előfúrást végeztünk, elkerülve a sinus maxillarist a tuber csontkínálatának felhasználásával. Egy ∅ 5.0 mm x 14 mm Straumann BLX implantátumot helyeztünk be, 50 Ncm-es behajtási nyomatékkal (6. ábra) Mind a három implantátumba gyógyulási csavar került, ezzel elkerültük az újabb sebészi beavatkozás szükségességét. Tovafutó varrattal zártuk a sebet az ínyformázó csavarok körül (7. és 8. ábrák)

A fogpótlás készítésének lépései Hathetes gyógyulás után a lágyszövetek kiválóan gyógyultak, és minden implantátum megfelelően osszeointegrálódott, amelyet a radiológiai vizsgálat is megerősített (9. és 10. ábra).

Nyitott kanalas lenyomatvételi fejeket csatlakoztattunk az implantátumokhoz, és elasztomer lenyomatanyagot

6 Dental Tribune Hungary Edition | 2023/01 GYAKORLÓ FOGORVOS AJÁNLJA
Dr. Tepper Gábor, dr. Christian Jarry 1. ábra: Megfelelő szájhigiénia – panorámaröntgen. 2. ábra: A 2.5, 2.6 és 2.7-nek megfelelő terület a röntgenfelvételen. 3. ábra: Straumann® BLX implantátum ∅ 5.0 mm x 12 mm – készen a behelyezésre a 2.5-ös fog helyére. – 4. ábra: A végső behelyezési nyomaték 80 Ncm volt a nyomatékkulcs alapján. – 5. ábra: Straumann® BLX implantátum ∅ 5.0 mm x 6 mm – készen a behelyezésre a 2.6-os fog helyére. 6. ábra: Straumann® BLX implantátum ∅ 5.0 mm x 14 mm – készen a behelyezésre a 2.7-es fog helyére. – 7. ábra: RB/WB gyógyulási csavarok a helyükön, egyfázisú műtét. – 8. ábra: Tovafutó varratok.
3 4 5 6 7 8 9 10 11 ” 8. oldal
9. ábra: Radiológiai vizsgálat a 6. hét után. – 10. ábra: Lágyszövetek a hat hét gyógyulást követően. – 11. ábra: Az elkészült híd a szájban – okkluzális nézet.

KIVÁLÓSÁG AZ AZONNALISÁGBAN

Straumann®

TLX Implantátum

rendszer Az ikonikus Tissue Level és az azonnali terhelés találkozása

AZONNALI TERHELÉS PROTOKOLOKRA KIFEJLESZTVE

Kúpos forma az optimális primer stabilitásért

A PERIIMPLANTÁRIS EGÉSZSÉG

FENNTARTÁSA

Kevesebb megtapadó baktérium és egyszerűbb

tisztíthatóság

EGYSZERŰSÉG ÉS HATÉKONYSÁG

Egyfázisú folyamat, amely szöveti szintű restaurátumot és jobb szék melletti időkihasználást tesz lehetővé

A Straumann TLX implantátum rendszer kialakításánál számításba vették a keményés lágyszövet gyógyulás kulcsfontosságú elemeit.

Az implantátum-felépítmény kapcsolat távolabb került a csonttól, ezzel jelentősen csökkentve a gyulladás, valamint a csontreszorpció esélyét.

Keresse helyi Straumann képviselőjét vagy látogasson el a www.starumann.com/tlx oldalra!

12. ábra: A végső radiológiai vizsgálat megerősítette az osszeointegrációt és a pótlás optimális illeszkedését.

fecskendeztünk köréjük és a lenyomatkanálba, hogy egyfázisú lenyomatot vegyünk. A minta laboratóriumi elkészítését követően a kimart vázra kerámialeplezés került, amelyet megfelelő

Az eredmény

festéssel tettek még természetesebbé. Ezt követően a pótlást közvetlenül az implantátumokhoz csatlakoztattuk, majd ellenőriztük a kontaktpontot és az okklúziót. Minden csavart 35 Ncm-es nyomatékra húztunk, majd a csavarnyílásokat teflonszalaggal és fényre kötő kompozittal zártuk (11. ábra)

a stabil kresztális gerincet az azonnal behelyezett, a rövid és a ferde, a tuberben elhorgonyzott implantátum körül (12. ábra).

A páciens teljesen elégedett volt az esztétikai és a funkcionális eredménnyel is, továbbá lenyűgözte a kezelés rövidsége, valamint a minimálisan invazív megoldása.

Megbeszélés

A végső röntgenfelvételen láthatjuk az oszszeointegrálódott implantátumokat, valamint

Az orvos számára továbbra is nagyon fontos, hogy elsajátítsa és elvégezze a sinus lift műtéti technikáit, hogy képes legyen azoknak a pácienseknek a kezelésére, akiknél ez a maxilla hátsó régiójában feltétlenül indokolt. A sinus lift nagyfokú kézügyességet igényel, hogy elkerülhető legyen a leggyakoribb szövődmény, amely az arcüreg nyálkahártyájának az átszúrását vagy szakadását jelenti. Napjainkban a szakiro-

PERSPEKTÍVÁK A PARO-IMPLANTOLÓGIÁBAN ÉS A KOMPREHENZÍV FOGÁSZATBAN

Szeged, 2023. május 4 – 6.

KREDIT PO NT 16

I. DENTÁLHIGIÉNIKUS SYMPOSIUM

HANDS-ON WORKSHOP a világhírű Tiziano Testori professzorral

dalom az összes eset 25–50%-ánál számol be sinus-membrán-perforációról a laterális ablakkal végzett sinus lift műtétek során, melynek következménye a csontpótló anyag elvesztése, valamint az ezt követő arcüreggyulladás lehet12 Napjainkban, amikor már a könnyű megoldások mindenki számára elérhetőek, a páciensek hatékony, minimális traumával járó, és nem utolsósorban megfizethető megoldásokat keresnek az interneten elérhető információk alapján. Az orvosi vizitek számának és időtartamának csökkentése, különösen a világjárvány idején, valamint a sebészeti beavatkozások minimalizálása további előnyökkel is jár13

Irodalomjegyzék

1. Moreno Vazquez JC, Gonzalez de Rivera AS, Gil HS, et al: Complication rate in 200 consecutive sinus lift procedures: Guidelines for prevention and treatment. J Oral Maxillofac Surg 72:892,2014

2. Watzek G, Weber R, Bernhart T, et al: Treatment of patients with extreme maxillary atrophy using sinus floor augmentation and implants: Preliminary results. Int J Oral Maxillofac Surg 27:428, 1998

3. Pjetursson BE, Tan WC, Zwahlen M, Lang NP: A systematic review of the success of sinus floor elevation and survival of implants inserted in combination with sinus floor elevation. J Clin Periodontol 35(8 suppl):216, 2008

4. Chiapasco M, Zaniboni M: Methods to treat the edentulous posterior maxilla: Implants with sinus grafting. J Oral Maxillofac Surg 67:867, 2009

5. Wen S-C, Lin Y-H, Yang Y-C, Wang H-L: The influence of sinus membrane thickness upon membrane perforation during transcrestal sinus lift procedure [published online ahead of print May 29, 2014]. Clin Oral Implants Res. http://dx.doi.org/10.1111/clr.12429.

6. Pommer B, Unger E, Sütö D, et al: Mechanical properties of the Schneiderian membrane in vitro. Clin Oral Implants Res 20:633, 2009

7. Zijderveld SA, van den Bergh JP, Schulten EA, ten Bruggenkate CM: Anatomical and surgical findings and complications in 100 consecutive maxillary sinus floor elevation procedures. J Oral Maxillofac Surg 66:1426, 2008

8. Esposito M, Grusovin MG, Rees J, Karasoulos D, Felice P, Alissa R, Worthington H, Coulthard P. Effectiveness of sinus lift procedures for dental implant rehabilitation: a Cochrane systematic review. Eur J Oral Implantol. 2010 Spring;3(1):7-26. PMID: 20467595.

ELŐADÓK:

ALESSANDRO POZZI Olaszország

ANDREA MOMBELLI Svájc

AUDREY CAMILLERI Málta

GERMAN GALLUCCI USA

HANDE SAR SANCAKLI Törökország

KONGRESSZUSI INFORMÁCIÓK:

RÉGIÓ

Régió-10 Kft.

6722 Szeged, Szentháromság utca 19.

+36 62 710 500 info@regio10.hu

www.symposiumszeged.com

www.facebook.com/SymposiumSzeged

KREDIT PO NT 32

MILADINOV MILOS Románia

SERHAT ASLAN Törökország

TIZIANO TESTORI Olaszország

TOMAS LINKEVICIUS Litvánia ZIV MAZOR Izrael

HELYSZÍN:

Szegedi Tudományegyetem

József Attila Tanulmányi és

Információs Központ

6722 Szeged, Ady tér 10. www.u-szeged.hu/tik

9. Lin WS, Eckert SE. Clinical performance of intentionally tilted implants versus axially positioned implants: A systematic review. Clin Oral Implants Res. 2018 Oct;29 Suppl 16:78-105. doi: 10.1111/ clr.13294. PMID: 30328193.

10. Atieh MA, Zadeh H, Stanford CM, Cooper LF. Survival of short dental implants for treatment of posterior partial edentulism: a systematic review. Int J Oral Maxillofac Implants. 2012 NovDec;27(6):1323-31. PMID: 23189281.

11. Guljé FL, Raghoebar GM, Vissink A, Meijer HJA. Single crown restorations supported by 6-mm implants in the resorbed posterior mandible: A five-year prospective case series. Clin Implant Dent Relat Res. 2019 Oct;21(5):1017-1022. doi: 10.1111/cid.12825. Epub 2019 Jul 28. PMID: 31353837; PMCID: PMC6899810.

12. Thoma DS, Zeltner M, Hüsler J, Hämmerle CH, Jung RE. EAO Supplement Working Group 4EAO CC 2015 Short implants versus sinus lifting with longer implants to restore the posterior maxilla: a systematic review. Clin Oral Implants Res. 2015 Sep;26 Suppl 11:154-69. doi: 10.1111/ clr.12615. Epub 2015 May 21. PMID: 25997901.

13. Nolan, P.J., Freeman, K. and Kraut, R.A. (2014) Correlation between Schneiderian Membrane Perforation and Sinus Lift Graft Outcome: A Retrospective Evaluation of 359 Augmented Sinus. Journal of Oral and Maxillofacial Surgery, 72, 47-52.

SZEGED MAGYAR FOGORVOSOK EGYESÜLETE
SYMPOSIUM
2023. MÁJUS 5 - 6. 2023. MÁJUS 4.
8 Dental Tribune Hungary Edition | 2023/01 GYAKORLÓ FOGORVOS AJÁNLJA
hirdetés “ 6. oldalról

IRÁNYVONALAK, ALKALMAZÁSOK

A harapás, az állkapocsízület és a rágóizomzat működése

A harapás bizonyos fajtája, amely az ízületi fej kényszerhelyzetét okozza, kiváltja a szervezet öngyógyítási kísérletét, a bruxizmust. Amennyiben az állkapocs elmozdítását a fogak gátolják, a hiábavaló harapáskorrekció fogszorítást okoz. A következmények többek között az alábbiak lehetnek: a restauráció töredezése, az implantátum kilazulása, vagy éppen a craniomandibularis diszfunkció tüneteinek a megjelenése. Az a harapás, amely az ízületi fejek központi helyzetét eredményezi (centrális okklúzió), kiváltja a rágóizomzat ellazulását. Az összefüggéseket a harapás és a rágóizomzat működése között már 1966-ban felismerte két gnatológus, Hiniker & Ramfjord, és megfogalmazták a kezelési alapelvet: az okklúziót az ízületi fejek helyzetéhez kell beállítani, és nem kell abban bízni, hogy az ízület majd alkalmazkodik a harapáshoz.

Egyre gyakrabban keresnek meg kollégák olyan problémával, hogy arcíves és támasztócsapos regisztrálást is végeztek, egyéni artiku-

látorban készült a fogpótlás, de mégsem megfelelő az eredmény. Ennek oka, hogy támasztócsapos regisztrálás minden esetben kétoldali ízületi kompressziót eredményez. Ilyenkor az ízületek kímélése érdekében az izomzat kicsit előrekényszeríti az állkapcsot, amelynek következménye nem csak a frontfogak töredezése lehet, hanem például egy korty légcsőbe kerülése, heves köhögést okozva, vagy éppen a nyelv, az arc vagy az ajak beharapása, ami széthúzza az ízületi komponenseket.

Felmerül a kérdés, ha a harapás és a rágóizomzat működése közötti összefüggés több mint ötven éve ismert, akkor miért nem született már meg a megoldás? (Én 1990-ben dolgoztam ki a harapás levezetését az ízületek központi helyzetéből.)

Mindig az aktuális problémák állnak a kutatás középpontjában. A hatvanas években a gnatológusok egyik legnagyobb gondja az volt, hogy egyes esetekben nem sikerült az egyéni értékekre programozott artikulátorban létrehozott kiegyensúlyozott harapást megta -

pasztalni a páciens szájában. Megoldásként született a front- és szemfogvezetés elve, hogy feleslegessé váljon a mozgásokat mérő pantográf, valamint a mozgásokat utánzó, egyéni értékekre programozott artikulátor használata. Manapság ismét sokan szorgalmazzák az egyéni értékű artikulátor használatát. Bár technikailag korszerűbb feltételekkel kívánják megoldani a problémát, de véleményem szerint a különböző mozgások egy része (a fogak mozgása a fogágyban, az állcsontok deformációja, valamint a discus articularis működése közben történő formaváltozása) továbbra sem lesz utánozható. Arról nem is beszélve, hogy teljesen felesleges többletmunkát jelent, mert a frontés szemfogvezetés beállításához a középértékű artikulátor tökéletesen elégséges. Manapság a sok stressz miatt egyre kevesebb energia marad a hibás ízü-

leti pozíció kompenzálására, ezért gyakrabban jelentkeznek páciensek CMD-tünetekkel.

A fogorvosok ilyenkor tipikusan harapásemelő sínt készítenek. A harapás emelése, azaz az arc megnyújtása csak esztétikai célt szolgál. A funkció problémáját csak az ízületek széthúzása oldja meg, tehát a hibás rágóizom-működést nem az állkapocsízület mozgásainak, hanem kompressziójának szimulálása és annak eliminálása rendezi.

Az általam kidolgozott Centrocc-módszer alkalmazásával mérhető a harapás, gyógyítható és/vagy megelőzhető a craniomandibuláris diszfunkció.

Irodalom

https://www.dental.hu/a-jo-harapas-azizomzat-azonnali-reflexes-ellazulasavaljar-mig-a-rossz-harapas-miatti-hibas-mukodes-hosszu-ideig-tarto-gorcsos-izomtevekenyseget-okoz

https://www.dental.hu/harapasi-anomalia-centralis-okkluzio-bruxizmus-fogszoritas-condylus-kenyszerhelyzet-tmd?fbclid=IwAR2zJkfSWvtofSCeFEjXgDI2WkyICSUXDhiiOe6UPKpIttOBbbAZ7CQXopo

https://centroccprofessional.com/dr-feher-tibor-milyen-condylus-poziciot-eredmenyez-a-tamasztocsapos-regisztralas/

labor@dentartttechnik.hu www.dentarttechnik.hu +36 30 682 3827 Virtuális tervezés Ti és CoCr 3D nyomtatása Egyéni implantátumok Egyedi titán zsaluhálók Csontpótlás Csontpótlás eszközei Implantológiai fúrósablonok Műtéti segédeszközök 9024 Győr, Csokonai u. 10. Impl lantológiában
csontpótlásban az első! 9 Dental Tribune Hungary Edition | 2023/01
és
hirdetés

Dental Tribune International

Iraki és Egyesült Arab Emírségekben dolgozó kutatók tanulmánya szerint az ezekben az országokban dolgozó fogorvosok úgy érzik, hogy nem rendelkeznek megfelelő felszereléssel ahhoz, hogy optimális szájüregi ellátást nyújtsanak a fogyatékkal élő betegeknek. Az okok között szerepel a klinikusok szorongása, valamint a megfelelő kezelési idő és képzés hiánya. A kutatók szerint célzott oktatási lehetőségekre van szükség ahhoz, hogy javuljon a klinikusok önbizalma és képessége a fogyatékkal élő betegek kezelésére. Egy 150 ajmáni fogorvosból álló minta kitöltött egy keresztmetszeti felmérést, amelynek célja az volt, hogy megvizsgálja a klinikusok fogyatékossággal élő betegek kezelésével kapcsolatos kompetenciáját, valamint azokat a tényezőket, amelyek befolyásolják az ellátás nyújtását és az észlelt kompetenciát. A válaszadók többsége (75,3%) egy és öt év közötti klinikai tapasztalattal rendelkezett, és a mintacsoport 46,7%-a minimálisnak minősítette a fogyatékkal élő betegek kezelésével kapcsolatos tapasztalatát. Mindöszsze 2% mondta azt, hogy jelentős tapasztalattal rendelkezik a fogyatékkal élő betegek kezelésében. A tanulmány vezető szerzője, dr. Afraa Salah, aki az Ajmani Egyetemen gyermekfogászatot, valamint pszichológiát és viselkedéstudományokat oktat a fogorvostan-hallgatók számára, a Dental Tribune International (DTI) számára megerősítette, hogy a mintacsoport idősebb fogorvosainak is hiányzott a fogyatékkal élő betegek kezelésével kapcsolatos önbizalom és tapasztalat. A válaszadók közel háromnegyede (73,3%) azt mondta, hogy megkísérelné a fogyatékkal élő betegek kezelését, de ha a terápia túl nehézzé válna, más klinikushoz irányítaná a pácienst. A válaszadók egyötöde azt mondta, hogy nem kezelné a beteget, hanem inkább szakemberhez irányítaná. Arra a kérdésre, hogy a klinikusok mennyire érzik magukat kényelmesen a kezelés során, a válaszadók 45,3%-a semleges választ adott, 32,7%-a pozitívan, 14,7%-a pedig negatívan válaszolt. Erősen pozitív vagy erősen negatív választ a válaszadók 4,7%-a, illetve 2,0%-a adott.

A válaszadók jelentős része (44,0%) úgy érezte, hogy a fogyatékkal élő páciensek számára csak korlátozottan tud ideális szájápolási ellátást nyújtani, és 35,5%-uk szerint a kezeléshez szükséges idő aggodalomra ad okot. A megkérdezettek 38,0%a említette, hogy aggódik amiatt, hogy képes-e interakcióba lépni a pácienssel, és 34,7%, illetve 30,7% aggódott amiatt, hogy a kezelés sérülést okozhat a páciensnek vagy a kezelő fogorvosnak.

A szerzők azt írták, hogy „a résztvevő fogorvosok korlátozott kezelési lehetőségei e populáció esetében a

hirdetés

megfelelő idő és képzés hiányától, a betegekkel való kommunikáció korlátozott képességétől, a betegekkel

való kapcsolattartástól, a betegek ragaszkodásától és a folyamatos helyzetfelismeréstől függnek, hogy hogyan kerüljék el a betegek nem szándékos sérüléseit, amelyek a klinikai személyzet esetleges sérüléséhez vezethetnek."

Dr. Salah a DTI-nek elmondta: „Úgy gondolom, hogy az alapképzésben, valamint egy kötelező jellegű személyes tanfolyamon keresztül oktatási kurzusokat kell létrehoznunk és megvalósítanunk az ilyen betegek

kezelésével kapcsolatban. Személy szerint úgy gondolom, hogy különösen az autizmus spektrumán lévő betegek legjobb kezeléséről szóló képzés lenne nagyon értékes.”

A „Dentists’ attitude towards dental treatment of disabled patients” (Fogorvosok hozzáállása a fogyatékkal élő betegek fogászati kezeléséhez) című tanulmányt az Advances in Medical Education and Practice című szaklapban tették közzé 2022. december 14-én. DT

Nyomtatott magazinok

vége...” ÚJ GENERÁCIÓ „Csak komplexen kezelek egy problémát...”

DENT Kalcifikált felső metszőfog kiszámítható gyökérkezelése 3D-nyomtatott fúrósablon segítségével

államtitkáré, míg az operatív végrehajtás az országos kórházi főigazgató feladata lesz. Ezcsak olyan megoldási javaslat kerülhet kormány elé, amit támogatnak szakmai szervezetek is. Így

lenre. Amint felállt kormány, egy

ügyminiszter

10 Dental Tribune Hungary Edition | 2023/01 SZÍNES HÍREK A NAGYVILÁGBÓL
2022 / III.ÉVFOLYAM–ÁR:2500FT ADENTALPRESSTEMATIKUSKIADVÁNYA DIGITÁLIS FOGÁSZAT PORTRÉ ESETISMERTETÉS ESETISMERTETÉS INTERJÚ Tanulmányozd először az elméletet, aztán jöjjön a gyakorlat, mely belőle származik Hagyományos teljes fogsor hatékony átalakítása Teljes ívű rehabilitáció primer vázra ragasztott lítium-diszilikát szekunder koronákkal „A helyreállító fogászat lett a szenvedélyem és a mindennapi munkám”hatók az egészségügyben. Egy érdemi fejleményt azonban már kormányalakítás is hozott: humánamiben az egészségügy járvány eleje óta őrlődött két tárca között. Igaz, sokan csalódtak, hogy az újminisztérium erősíti, hanem miniszter személye.-„a főbb csapásirány megmarad egészségügyben. Az első nagy lé-irányítás az
ötödével be sem jut az ellátórendszerbe, illetve terápiák egy része oldalEgy fogpótlás készítéséhez fogorvos harapás alapján készített fogpótlás nem IRÁNYVONALAK, ALKALMAZÁSOK Mindannyian átéltük már, mindannyian Velünk nyaralt a remény Új tanulmány szerint a nanorészecskék használata hatékonyabb módszer lehet a fogfehérítésrebizonyos típusú nanorészecskék lehetnek következő élenjáró meg-invazív módon alkalmazva javítják fogfehérítést, emellett antibakteriális, gyulladáscsökkentő ésfogászatot és parodontológiát. jelenleg klinikailag használt fogfehérítő szerek, mint például kar-őket, hanem fehérítőszerként alkalmazva még jobban működhetnek,oxid és arany nanorészecskék hidrogén-peroxidot, az ezüstalapúgyököket termelnek. Azhasználtak, valamint egy másik vizsgálatról, amely kimutatta, hogy az arany-ezek nanorészecskék potenciálisan jelenthetnek-e toxicitási kocká-eredményeket nyújtott, és nem találtak nyilvánvaló toxicitást. Egy hasonló vizsgálat kimutatta, hogy 405csoport beszámolt hidroxiapatittal kapcsolatos kutatásról is, amelyről ismert, hogy fogak-pedig azt jelezte, hogy hidroxiapatit nanorészecskéket tartalmazó szájápolási termékek általában biz-spectives” címmel, június 15-i számában jelent meg, még számba való felvétel előtt. - XViii szám The World‘s Dental Newspaper 2022 XXVI. ÉVFOLYAM 3. SZÁM A FOGÁSZAT INFORMÁCIÓS MAGAZINJA DENTAL HÍREK 2500 FT PORTRÉ „A tanulási folyamatnak soha nincs
MED.
MED.
Szemfog
aplázia részárással történő kezelése során 2022 / XIX. ÉVFOLYAM – 3. SZÁM FOGTECHNIKA FOGTECHNIKUSOK SZAKMAI LAPJA ÁRA: 2500 FT Egyedi fogszínkulcsok a CAD/CAM fogpótlások színének meghatározásához A „Majesthetik” csodája – a munkamenet Makó János és Péry Eleonóra interjú –páratlan páros CÍMLAPSZTORI LABORATÓRIUM LABORATÓRIUM A kézművesség tisztelete AKIKTŐL TANULHATUNK 2022 XIX. ÉVFOLYAM – 2. SZÁM A DP HUNGARY TEMATIKUS KIADVÁNYA ÁRA: 2500 FT IMPLANTOLÓGIA INTERJÚ INTERJÚ INTERJÚ „Mindennek az alapja egy tökéletes team megszervezése és működtetése…” Fontos a rendszeres megújulás KERESKEDELMI HÍREK Nézzünk előre! „Én a szakterületek harmonikus együttműködésében hiszek…” Dental Hírek 4 szám/év Fogtechnika 4 szám/év Digitális Fogászat 1 szám/év Dental Tribune 4 szám/év Implantológia 3 szám/év bankkártyás fizetés esetén Szakkönyvek ajándékba! 2023-as éves, mind az öt magazinunkra történő előfizetés esetén választhat fogászati szakkönyveink közül egyet ajándékba 2023 DENTAL PRESS AKCIÓ! A fogorvosok korlátokba ütköznek a fogyatékkal élő betegek kezelésében
-
-
számára, hogy mibenberhiány. Összességében úgy látják,segítségüket hogy tárca vezetői helyzet javítására egy, 2011-es-nius elején. szerint idén, az első negyedévben kórházak közel negyedével, szakrendelők
DENT
és kisőrlő formázása kismetsző

A Henry Schein többségi részesedést szerzett a francia Biotech Dental Groupban

Dental Tribune International

A globális fogászati kereskedő cég, a Henry Schein többségi részesedést

vásárolt a Biotech Dentalban azzal a céllal, hogy bővítse kínálatát a fogászat néhány leggyorsabban fejlődő termék- és szolgáltatáskategóri-

ájában. A hatósági jóváhagyástól függő ügylet az amerikai fogászati óriáscég hozzáférését a rendelői szoftverekhez, a fogászati implantátumokhoz, valamint a szájsebészeti és fogszabályozási termékek széles skálájához bővítené.

A Biotech Dental a szoftverek, szájsebészeti és fogszabályozási termékek gyorsan növekvő szolgáltatója, székhelye a franciaországi Salon-de-Provence-ban található.

A két vállalat végleges adásvételi megállapodást kötött, amelynek értelmében a Henry Schein megszerzi a Biotech Dental többségi tulajdonjogát, a jelenlegi többségi tulajdonos Upperside Capital Partners Group pedig a fennmaradó kisebbségi részesedést fogja birtokolni. Az értékesítési megállapodás pénzügyi feltételeit nem hozták nyilvánosságra.

A Henry Schein közleményben közölte, hogy a két vállalat együtt fog működni annak érdekében, hogy a Biotech Dental termékei a világ több részén, több fogorvoshoz jussanak el. A francia vállalat portfóliójába szoftvertermékek és szolgáltatások, fogpótlások, aligner fogszabályozók, fogászati implantátumok, regeneratív megoldások és bioanyagok tartoznak.

„A Henry Schein és a Biotech Dental elkötelezte magát amellett, hogy az ügyfeleknek a kategóriájában legjobb, felhasználóbarát, ügyfélközpontú, nyílt architektúrán alapuló megoldásokat kínáljon, amelyek segítenek javítani a betegek eredményeit” – mondta Stanley M. Bergman, a Henry Schein igazgatótanácsának elnöke és vezérigazgatója a közleményben, hozzátéve, hogy a vállalat a Biotech Nemotec szoftverét beépíti kínálatába, és szoftvermegoldásait integrálja a meglévő praxiskezelő szoftverekkel. Bergman így kommentálta: “A cégünk a vállalatot a következő módon támogatja: “A Biotech Dental a fogászati piac számos legizgalmasabb és leggyorsabban növekvő szegmensében, köztük az implantátumok és a fogszabályozók területén is kiemelkedő eredményeket ért el. Egyesített erőforrásainkkal a legmodernebb technológiát mutatjuk be ügyfeleinknek”.”

Philippe Veran, a Biotech Dental társalapítója és elnöke a felvásárlás után is a Biotech Dental tevékenységét fogja vezetni. Megjegyezte: “Az elmúlt 35 évben vállalkozásunk növekedése a gazdag francia örökségünkben gyökerezett. Ez megmarad, mivel továbbra is Franciaországban gyártjuk termékeinket, miközben innovációt és új technológiákat hozunk a globális fogászati piacnak. A Henry Schein-nel közösen várjuk, hogy ügyfeleinknek segítsük a betegek hatékonyabb kezelését és az üzleti siker maximalizálását.” DT

11 Dental Tribune Hungary Edition | 2023/01 SZÍNES HÍREK A NAGYVILÁGBÓL
Online magazinok Előfizetés megrendelése: www.dental.hu 16 újság + 16 e-Journal 45%41 000 Ft helyett 23 500 Ft
hirdetés
(Kép: Krakenimages.com/Shutterstock)

Fogászati Kiállítás és Kongresszus 2023. március 24–25.

KÉT NAP A JÖVŐÉRT – Lépjen velünk hipertérbe!

VIII. UPGRADE CONGRESS
Esztétika & Endo Implantológia Digital & Ortho Prevenció
Dr. Luigi Canullo Dr. Felkai Tamás Dr. Borbély Judit Dr. Baktai Zoltán Dr. Fráter Márk Dr. Borzási Imre Dr. Joób-Fancsaly Árpád Dr. Nagy Pál Dr. Dumitru Muntean Dr. Filipa de Almeida Dr. Alexander Tzovairis Dr. Baráth Zoltán Dr. Daniel C. Neves Dr. Walter-Kovács Noémi Dr. Döbrentey Zsolt Dr. Michał Ganowicz Dr. Nagy Zsolt Dr. Molnár Bálint Dr. Simon Fanni Dr. Tóth György

BUBORÉKbár

Mini színpadon gyakorlati bemutatók, többféle területen

Várjuk szeretettel a 4 DÍJMENTES élményhelyszínen a kiállítás 2 napja alatt!

FLEXI KÁVÉZÓ

LAST MINUTE kedvezmény

meghosszabítva

március 5-ig!

Jelentkezzen most:

www.upgradecongress.hu

2023

VIII. UPGRADE HUNGEXPO

DENTAL ARÉNA

Gálaest

2023. március 24., péntek 19.30–01.00

Program:

19:30 kapunyitás, asztalfoglalás, welcome koktél Hász Eszter-Gáspár Károly duó zenél az este alatt

20:00 köszöntő, büféasztalos vacsora ínyencségekkel

20:30 revüműsor

21:30 élő koncert – Rubor Labii zenekara (dr. Benyőcs Gergely, dr. Mócz András, dr. Siklós Csaba, dr. Sidó Levente)

23:30 funkypop & dance

Helyszín:

Orfeum, a Pesti Mulató, 1073 Budapest, Erzsébet körút 43-49.

Részvételi díj: 20 000 Ft (03. 01-től: 25 000 Ft) Jegyek korlátozott számban igényelhetőek!

További információ: info@upgradecongress.hu, www.upgradecongress.hu

LIVE DEMO
Talkshow az előadókkal

„Ez a kefe ott tisztít, ahová a hagyományos sörték nem érnek el”

Hydrosonic Pro sörtéi fel-le oszcillálnak, amely a kézi fogkefék használatakor is ajánlott technika. A Hydrosonic Pro hatékonyan tisztít, de mindezt atraumatikus módon teszi – tehát ideális az érzékeny fogakkal, vagy fogínnyel rendelkező emberek számára.”

A hozzáférhetetlen helyek elérése

A megelőzés és a parodontológia szakértőjeként prof. Ulrich P. Saxer tökéletes helyzetben volt ahhoz, hogy olyan fogkefét tervezzen, amely ott tisztít, ahol más fogkefék nem. A Curaprox Hydrosonic Pro erőteljesen és hatékonyan távolítja el a biofilmet. A szónikus technológia és a hidrodinamika egyedülálló összjátékának köszönhetően mindezt a lehető legkíméletesebb módon teszi.

„Sokan úgy mosnak fogat, hogy közben károsítják a fogakat és az ínyt. A

rosszul megválasztott fogkefe vagy a helytelen fogmosási technika kopást okozhat. A zománc-cement határon kialakuló fognyaki elváltozások különösen nagy problémát jelentenek, akárcsak a fognyakak érzékenysége. Ezek a problémák kéz a kézben járnak az íny visszahúzódásával vagy sérülésével. A jó minőségű szónikus fogkefe használatával mindezek megelőzhetőek.”

„A Hydrosonic Pro tervezésekor nagyon tudatos döntés volt, hogy a szónikus technológiát válasszuk. A

„A legtöbb ember agresszív/határozott vízszintes (előre-hátra irányuló) mozdulattal tisztít meg egy egész fogívet. A Hydrosonic Pro kefefejének formája ennek az ellenkezőjét biztosítja: minden fogat külön-külön kell tisztítani. A kefefej lekerekített része fogról fogra, nagy pontossággal tisztítja a bukkális, lingvális és a külső, nyelv felőli és rágófelületeket. A „cseppformájú kefefej” csúcsos része jobban eléri a fogközöket, mint bármely manuális fogkefe. A kefefej dőlésszöge tökéletes a legnehezebben hozzáférhető és kritikus helyek eléréséhez. Más szóval, a kefefejek ideálisak koronákkal, hidakkal, fogszabályo-

SZÓNIKUS FOGKEFE

Innovatív svájci kefefej technológiával

zó készülékekkel, implantátumokkal vagy részleges fogsorral rendelkező páciensek számára."

„Az egycsomós fogkefe lehetővé teszi a fog nagyon alapos tisztítását ott, ahol a bakteriális plakk elsősorban felhalmozódik – nevezetesen az ínyszélnél, a fogszabályzókon, torlódott, elfordult fogállás esetén és a fogközökben. Sok fogászati szakember kizárólag ezzel a módszerrel mos fogat, végigvezetve a fogkefét az ínyszél mentén az összes fogon. Ez a módszer tudományosan bizonyítottan a legjobb tisztító hatást nyújtja.”

Harmónikus

összjáték a fogak és az íny számára

„Ez a szónikus fogkefe a mechanikus tisztításon kívül egy extra hidrodinamikus tisztító hatással is rendelkezik. A fogkrém, a víz és a nyál összetevőinek erőteljes örvénylése turbulenciát hoz létre, így a Hydrosonic PRO ott is tisztít, ahová a normál sörték már nem érnek el. Ez a hatás a fokozat emelésével tovább növelhető.”

„Az egyes kefefejek szálai vastagságban, hosszban és keménységben is különböznek egymástól. Kölcsönhatásuk és az átvitt frekvencia, amely nem azonos a kefefej minden pontján, finomhangolásra került. A belső sörték rövidebbek, így szabadon mozoghatnak, miközben a kefefejet bizonyos távolságban tartva a fogtól támogatják a hidrodinamikai hatást. A külső sörték érintkeznek a foggal és kialakításuk hozzájárul a szűk területek tisztításához, az elszíneződések és a fogkőképződés megelőzéséhez.”

„Azonban nem minden gyártó éri el a megfelelő hidrodinamikai hatást és sokan nem is tudnak róla! A sörték összjátékának és elrendezésének nagyon precíznek kell lennie. Kölcsönhatásuk és az átvitt frekvencia, amely nem azonos a kefe alapjának minden pontján, harmonikus összjátékot eredményez a fogak és az íny tisztításában. Az eredmény pedig a Curaprox saját, egyedi összhangja – amely elfogadott, kíméletes és hatékony”. DT

14 Dental Tribune Hungary Edition | 2023/01 KERESKEDELMI HÍREK
Curen® szálak: gyengéd és hatékony Csepp formájú 22.000 - 42.000 mozdulat/perc
www.sagerdental.hu Nagy teljesítményű motor CURACURVE® tökéletes dőlésszög a nehezen elérhető területek tisztítására power 0 10 10 15 0 sensitive egycsomós 0 hirdetés
7 tisztítási fokozat

Shining 3D - Aoralscan 3 intraorális szkenner

Elképesztően GYORS1 • Elképszetően PONTOS2

Az egyik legkisebb fejméret. 22 mm mélységélesség, szűk területen is. AI-gyorsított szkennelés. Dinamikus harapásrögzítés. Motion Control – érintésmentes léptetés. Csillogó felszín mód. Folyamatos és ingyenes funkciófrissítés. Ingyenes és korlátlan felhő szolgáltatás. Egészségügyi állapot jelentés. Ortho-szimuláció. Modell-készítés.

Bevezető ár: 5 699 000 Ft helyett most bruttó 4 999 000 Ft

„Gyors, tervezhető és nagyon pontos. Mindenkinek csak ajánlani tudom.” (Dr. Dombi Ábel).

„Az egyik legkisebb és az egyik legkönnyebb intraorális szkenner a piacon.” (Institute of Digital Dentistry)

Próbálja ki Ön is a csúcssebességet, keressen minket elérhetőségeinken!

Carestream Dental – CS 9600

A legokosabb CBCT

ÚJ: mesterséges intelligencia alapú diagnosztika

CBCT – Panoráma – FaceScan – Teleröntgen –Model Scan

AI-alapú pozícionálás:

– jelzi és javítja a páciens hibás pozícionálását

– még egy 4x4 cm-es FOV helye is tűpontosan pozícinálható – nincs többé lemaradt fog

– automatikus páciens fogív és csontozat felmérés és ehhez igazított sugárzási és fej forgási pálya beállítás

Tel.: 06-20-982-6148

info@nextdental.hu www.nextdental.hu

One Step Optimisation process with the poncho lamina technique:

How to achieve a correct cervical profile generation around single implants with simultaneous lateral bone augmentation in one surgical step

Participants will learn how to perform the one Step Optimisation process on artificial models with the help of a cortical membrane (Soft Lamina - Osteobiol) and the VPI Cervico System for Cervical Profile generation around MIS V3 implants. All protocol steps will be demonstrated for single edentulous sites and performed by the participants. Je one step optimisation surgery on an artificial model will be demonstrated, by the author of the poncho lamina technique, on an upper incisor compromised socket site.

A workshop angol nyelven lesz, tolmács nélkül!

Előadó: Dr. Alexander Tzovairis

Dátum és időpont: 2023. 03. 25., 14:00-16:30

Helyszín: Hungexpo, C pavilon, galéria, G terem

Ár: early-bird: EUR 250/fő március 1-ig, utána: EUR 300/fő

Jelentkezés: www.front-dent.hu, tarsoly.csenge@frontdent.hu

Kiemelkedő precizitás minden felvételnél és felhasználónál. 120 kV: még jobb kép, még kevesebb káros sugárzás.

FOV: akár 16x17 cm.

Felbontás, alsó+felső állcsont: 75 μm.

Virtuális teleröntgen a 3D felvételből. Audio kapcsolat pácienssel. CS 3D Imaging: lenyomat + FaceScan illesztés és fúrósablonkészítés opció.

Fogászati Kongresszus és Kiállítás BUDAPEST, HUNGEXPO 2023. március 24–25.

esetek és jogi védelem

Jogi

• Hatványozottan növekszik az elégedetlen páciensek és a praxisokat érintő támadások száma!

• Hogyan kezdődnek és hogyan végződnek ezek, mit kell tennie ahhoz, hogy meg tudja védeni saját magát és alkalmazottait?

• Ismerje meg, hogy pontosan milyen kötelmeket jelent az Egészségügyi Törvény, milyen módon kellene tájékoztatni a pácienseket és milyen adminisztrációt kell végeznie a szabályos működéshez.

• Legyen átfogó képe az automatizált dokumentum menedzsmentről, elektronikus dokumentum kezelésről és elektronikus aláírásról!

Részvételi díj: 19 900 Ft (március 1-től 25 000 Ft)

Jelentkezés: upgradecongress.hu

Időpont: 2023. március 24., péntek 10.00–16.00

Flexi-Dent szoftver felhasználóknak 25% kedvezmény

Dr. Alexander Tzovairis
Várjuk
az UPGRADE kongresszuson!
1 Lenyomatvételi sebessége az egyik leggyorsabb a jelenleg kapható készülékek között. 2 Padovai Egyetem felmérése (2022): teljes fogíven az átlagos eltérés 14 és 54 um között mozog. Friss Tamás (a téma szakértője) Dr. Gáspár Lajos (igazságügyi szakértő) Kluka Attila (praxis menedzser, kommunikációs szakértő)

Új, innovatív módszer a szájhigiénia szolgálatában

A két leggyakoribb szájüregi megbetegedés – a caries és a parodontitis – világszerte több mint 3,5 milliárd embert érint. A szájüregi profilaktikus kezelések segítenek csökkenteni a fogak és a parodontium megbetegedéseinek kockázatát. A minimálisan invazív és fájdalommentes irányított biofilmterápia (GBT) egy tudományos alapokon nyugvó, kiszámítható professzionális profilaktikus rendszer és terápiás megközelítés. A GBT a biofilm eltávolítása érdekében meleg vizet, levegőt és finom port alkalmaz. Ugyanakkor az egyes légpolírozó berendezések eltérő porfelhasználása arra utal, hogy nem minden berendezés üzemel azonos hatékonysággal. Dr. Marcel Donnet, dr. Maxime Fournier, Prof. Patrick Schmidlin, és Prof. Adrian Lussi egy új módszert mutatnak be, amellyel ezeknek a berendezéseknek a teljesítménye objektív módon megítélhető. Ezzel a fényszóródáson alapuló módszerrel meghatározható a porfelhasználás pontos mértéke, így pedig lehetségessé válik a leggazdaságosabb és legkevésbé invazív berendezés kiválasztása. A szájüregi egészség igen fontos tényezője az általában vett egészségnek és jóllétnek. A fogak szuvasodása annak következménye, hogy a szájüregi baktériumok cukrot bontanak, savat termelnek, ami miatt végül a zománc demineralizálódik. A lepedék vagy plakk (biofilm) felhalmozódása számos betegség okozója, ide értve a gingivitist (ami a fogíny vérzésével jár), a parodontitist (a fogíny és a fogak támasztószöveteinek súlyos gyulladása) és a cariest (fogszuvasodást) is. A szájüregi megelőző eljárásokat (más néven profilaxist) elsősorban azért végezzük, hogy csökkentsük ezen betegségek megjelenésének kockázatát.

Korszerű szájüregi profilaxis

Az irányított biofilmterápia a profilaxis modern módszere, amely a leghatékonyabb és legkevésbé abrazív megoldást kínálja a szájüregi biofilm eltávolítására. A 2015-ben kifejlesztett módszer forradalmasította a fogbetegségek kezelését és a professzionális szájhigiénét. A GBT egy légpolírozó berendezés és az ehhez készült speciális porok segítségével, egy nyolclépéses protokoll szerint valósul meg. A paradigmaváltás lényege, hogy a porfúvásos módszerrel a hagyományos eljárásokhoz képest kényelmesebben, kímélőbben, időtakarékosabban és hatékonyabban valósítható meg a fogak megtisztítása. A piacon számos légpolírozó berendezés elérhető, de nem mellékes szempont, hogy ezek mennyire képesek megfelelni a GBT minimálinvazivitási kritériumának. Szempontként merül fel a megfelelő por kiválasztása és az alkalmazott (a szövetek felületére juttatott) por mennyisége. A kijuttatott por mennyiségének ismerete nem csak a hatékony tisztítás, de a túlzott abrázió, illetve a túlkezelés megelőzése szempontjából is fontos. Ennek ellenére nincsenek pontos ismereteink az egyes légpolíro-

zó berendezések pontos porfelhasználási profiljára vonatkozóan. Ezért svájci kutatók – dr. Marcel Donnet, dr. Maxime Fournier, Prof. Patrick Schmidlin és Prof. Adrian Lussi – kollaborációban arra vállalkoztak, hogy kifejlesztenek egy olyan módszert, amellyel a fenti szempontok szerint az egyes légpolírozó berendezések elkülöníthetők egymástól, ami nagyban hozzásegíthet a megfelelő, GBT végzésére legalkalmasabb berendezés kiválasztásához.

A porfelhasználás mérése

A kutatócsoport módszerét a fény szóródására alapozta, ami a porrészecskék lézernyalábon való áthaladásakor következik be. A csoport meghatározta a fényintenzitás és a pormennyiség közötti összefüggést. A módszer lényege, hogy a mozgó porrészecskéket lézerrel megvilágítják, majd a a visszavert szórt fényt spektrométerrel detektálják, ami által a bármely pillanatban átáramló pormennyiség meghatározására nyílik lehetőség. Az eljárás kalibrációja és a mérési pontosság igazolása az elhasznált por tömegének meghatározásával történik.

Különbségek az egyes berendezések között

Az új módszer segítségével hat eltérő berendezést hasonlítottak össze. Ezek közül három „asztali” berendezés volt (ezek jellemzően nagyobb méretű, dentálhigiénikusok számára készült berendezések), három pedig kézi (ezek jellemzően fogorvosok számára készült, gyors kezelésre alkalmas készülékek). Mindegyik berendezést alacsony nyomású, kímélő üzemmódban tesztelték, mivel ez felel meg leginkább a minimálinvazivitás követelményének.

Háromhetes tesztidőszak alatt minden berendezés esetében összesen tíz tesztet végeztek el, véletlenszerű sorrendben, majd az eredményeket statisztikailag elemezték. Összességében az „asztali” berendezések jobban teljesítettek az átáramlás egyenletessége és a teljes üzemidő tekintetében is, ami a nagyobb portartálynak köszönhető.

Az AIRFLOW PROPHYLAXIS MASTER (E1 asztali berendezés) teljesített ilyen szempontból a legjobban, a legkevésbé meredek és egyenletes kibocsátást tükröző felhasználási görbével. A Handy 3.0 kézieszköz (E1) üzemideje bizonyult a kézieszközök közül a leghosszabbnak. Érdekes megfigyelés volt, hogy az eszközök között a legnagyobb különbséget a por portartályon

belüli viselkedése okozta. Az eszközök szignifikánsan különböztek egymástól abból a szempontból, hogy a működtető pedál egy-egy lenyomása alkalmával milyen intenzitású porkilökődés volt tapasztalható. Ez javarészt a csövekben hátramaradt pormennyiség számlájára volt írható. Így pl. az asztali Combi Touch (M3) igen erős intenzitással volt jellemezhető (> 8 g/perc), míg az AIRFLOW PROPHYLAXIS MASTER esetében ez mindössze > 2 g/percnek adódott. A nagy intenzitásnak klinikai jelentősége van, hiszen megnöveli annak az esélyét, hogy túlzott menynyiségű por jut ki, ami a fogakon egy maradványréteg kialakulásához vezethet. Ez aztán akadálya lehet a megfelelő tisztításnak, ami miatt romolhat a kezelés klinikai hatásfoka. Ezen felül szempont az is, hogy az ilyen intenzitású kibocsátás nagy mennyiségű por elhasználásával is jár, ami pedig megnöveli a kezelés költségét. Amint arról már szóltunk, az egyes berendezések közötti eltéréshez a por portartályon belüli viselkedése is hozzájárul, elsősorban az indítástól az áramlás stabilizálódásáig (0,5-5 s). Az ideális berendezés jellemzője, hogy egy-egy pedálnyomás alkalmával a por egyenletesen szabadul fel. Ezt az egyenletes felszabadulást kézi berendezések esetén gyorsabban sikerült elérni (stabilizáció). 5 másodperc minden berendezés esetén elégséges volt ahhoz, hogy nagyjából stabil állapot álljon be, de ténylegesen stabil átlagos porfelhasználás csak a kézi E1 és az asztali E1 és M3 berendezések esetén volt tapasztalható. A többi berendezésre az idővel csökkenő átlagos felhasználás volt jellemző, amelyet időnkénti kiugrások tarkítottak. Ez utóbbiak abból eredtek, hogy az egyes pedálnyomások kezdetén a felhasználás megugrott. Ettől a mintázattól teljesen egyébként csak az asztali E1 és M3 berendezések voltak mentesek. A por felhasználására természetesen az a mechanizmus is hatással van, ahogyan az egyes berendezések a port kibocsátják. Az AIRFLOW PROPHYLAXIS MASTER az egyetlen berendezés, amely a Venturi-hatás kihasználásával a portartály aljáról veszi fel a kibocsátandó port. Ennek megfelelően a berendezésre igen jól kontrollált, stabil porfelhasználás volt jellemző, amely magas szinten reprodukálhatónak is mutatkozott. Szintén jellemző volt erre a berendezésre a minimális pillanatnyi porfelhasználás, ami a kiszámíthatóság miatt jelentősen megkönnyíti a használatot. Mindez pedig annak köszönhető, hogy a por idővel csökkenő mennyisége

nincs kihatással a mindenkori porfelhasználásra. Más berendezések ezzel szemben örvényt keltve veszik fel a kibocsátandó port, ami azt jelenti, hogy a tartály tartalmának felső rétegeiből. Ez a megoldás kevésbé kiszámítható és stabil, mivel a por fogyása egyre csökkenő felhasználással jár. Ezen felül az ilyen berendezéseknél az is megfigyelhető, hogy az egységnyi felhasznált por átlagos mennyisége jóval kevésbé kontrollált. Ez volt megfigyelhető pl. az extrém magas porfelvételű asztali M3as készülék esetében. Itt az volt megfigyelhető, hogy – mivel a felhasználó nem tudja a kijuttatást adott ponton túl gyorsítani – porfelhő keletkezik, ami még a nagy teljesítményű elszívó számára is kihívás. Ennek klinikai jelentősége az, hogy a gyors fogyás miatt a berendezés teljesítménye gyorsan csökken, valamint gyakori újratöltésre is szükség lehet. Érdekes módon a Varios Combi Pro-ra (asztali N2) az volt a jellemző, hogy a portartály tartalmának csökkenésével párhuzamosan viszszaesett a porfelhasználás is. Ebből az következik, hogy a berendezés már két páciens között is eltérő hatékonyságot mutathat, a felhasználó pedig a por fogyásával párhuzamosan egyre csökkenő tisztítási képességet fog észlelni.

Klinikai jelentőség

A por felhasználásában mutatkozó nagy különbségek hátrányos kihatással vannak a professzionális szájhigiénés kezelésre. Az egyes berendezések működésének megértése hozzásegíthet az elvégzendő kezelés hatékonysága szempontjából legelőnyösebb berendezés kiválasztásához. A por precíz és stabil áramlása alapvető a szenzitív, exponált dentint is tartalmazó területek megtisztításához.

A por inkonzisztens, fluktuáló áramlása túlkezeléshez, a kiugrások miatt pedig akár a szövetek sértéséhez is vezethet. A GBT magába foglalja a mélyebb parodontális tasakok megtisztítását is, ami szintén porral és egy speciális subgingivalis fúvóka alkalmazásával történik. A jelenleg ajánlott kezelési idő tasakonként 5 másodperc.

A jelen vizsgálat eredményei fényé ben az asztali E1 készülék esetében hosszabb, 7 másodpercnyi kezelési idő lenne javasolt, mert ez tenné lehetővé a leghatékonyabb kezelést. Összegezve: a jelen vizsgálat közelebb juttatott annak a megértéséhez, hogyan működnek és hogyan adagolják a kezeléshez alkalmazott port az egyes berendezések, a kezelés folyamán és az indításkor tapasztalható esetleges kiugrásokra is tekintettel. Az eredmények segíthetnek a túlkezelés és a nemkívánatos klinikai következmények elkerülésében.

A prevenció jövője

A fogorvoslás jövője az orális medicinában és a prevencióban rejlik. A legjobb minőségű profilaxis elérésében kulcskérdés a légpolírozó berendezések porfelhasználásának

optimalizálása. Ahogyan a bemutatott kutatásból is kitűnik, a különbségek jelenleg még igen nagyok, ez pedig hatással lehet a felhasználói élményre éppen úgy, mint a páciensek kezelésére. Egyedül az EMS Research Centerben, kutatók és klinikusok együttműködésével kifejlesztett AIRFLOW PROPHYLAXIS MASTER mutatott teljesen egyenletes porfelhasználást és -kijuttatást. Ez a maga nemében elsőrangú berendezés magas minőségű GBT kezelést garantál, amely kiszámítható és megismételhető. Tekintve a kiemelkedő hatékonyságot és kiszámíthatóságot, ez a technológia önálló minőségi standardet képvisel, és az AIR-FLOWING elnevezést kapta.

Célok

Egy olyan új módszer kifejlesztése, amellyel a légpolírozó berendezések teljesítményét befolyásoló tényezők jobban megérthetőek, ezzel elősegítve a még hatékonyabb és minimálinvazívabb szájüregi profilaxist.

Irodalomjegyzék

1. Donnet, M, Fournier, M, Schmidlin, PR, Lussi, A, (2021) A Novel Method to Measure the Powder Consumption of Dental Air-Polishing Device. Applied Sciences 11(3), 1101 doi.org/10.3390/app11031101.

2. Petersilka, G, Koch R, Vomhof A, et al, (2020) Retrospective analysis of the long-term effect of subgingival air polishing in supportive periodontal therapy. J Clin Periodontol 48(2), 263–271. doi.org/10.1111/jcpe.13392. DT

A szerzők rövid életrajza Dr. Marcel Donnet végzettsége szerint vegyészmérnök, PhD fokozatát portechnológiából szerezte. Több mint 20 éve végez interdiszciplináris kutatásokat, elsősorban orvosi és fogorvosi területeken, porok és folyadékok kapcsán. Elkötelezett amellett, hogy olyan megoldásokat találjon, amelyek a klinikus és a páciens számára is a lehető legjobb klinikai eredményt nyújtják.

Dr. Maxime Fournier emberközpontú technológiákkal foglalkozik és fontos számára, hogy a betegek és orvosaik életébe átütő erejű fejlesztéseket hozzon be. PhD fokozatát biomérnökként szerezte, karrierjét pedig úttörő medtech fejlesztéseknek szentelte. Jelenleg az Electro Medical Systems technológiai és innovációs vezetője.

Prof. Patrick Schmidlin a Zürichi Egyetem egyetemi tanára, a Fogorvostudományi Központ Parodontológiai és Implantológiai Betegségek Osztályának vezető főorvosa. Szenvedélye a klinikum és a kutatás.

Prof. Adrian Lussi vegyészmérnöki és fogorvosi diplomával is rendelkezik, amelyeket Bernben és Freiburgban szerzett. Több mint 500 publikáció kötődik a nevéhez, valamint 15 könyv szerkesztője vagy társszerkesztője megelőzés és konzerváló fogászat témakörben. A fogorvoslás területén számos díjat nyert el.

TUDOMÁNY ÉS KUTATÁS 16 Dental Tribune Hungary Edition | 2023/01

A

LEGÁTFOGÓBB MEGOLDÁS A PROFILAXISBAN

THE ORIGINAL. THE MASTER. THE GAME CHANGER.

EMS-Dental

Emese Trunk

etrunk@ems-ch.com

00 36 30 860 7186

ems-dental.com

SZKENNELJE BE AZ INGYENES BEMUTATÓ LEFOGLALÁSÁHOZ

SZKENNELJE BE ÉS TUDJON MEG TÖBBET A GBT-RŐL

2023. október 12-13-14.

Találkozzunk Európa fogászati eseményén Budapesten

KONGRESSZUSI PROGRAMOK ELŐZE TES ELŐADÓI

Vegye meg most kongresszusi jegyét Ultra Early Bird kedvezménnyel!*

1 témakörű kongresszus: 50 000 Ft

(esztétika, implantológia, endodontia, orthodontia)

Teljes ár: 100 000 Ft

All access: 75 000 Ft

(mind a négy témakörű kongresszusra belépést biztosít)

Teljes ár: 150 000 Ft

*A kedvezmény 2023. március 31-ig érvényes.

dentalworld.hu „
Dr. Giovanni Olivi Olaszország Danielle Rondoni Olaszország Dr. Marco Mailonio Olaszország Dr. Francesco Amato Olaszország Prof. dr. Marcel Wainwright Németország Dr. Andrea Franzo Olaszország Dr. Nuno Pinto Portugália Dr. Giedré Kobs Litvánia Prof. dr. Mutlu Özcan Svájc Dr. Mile Churlinov Észak-Macedódina Dr. Ruth Perez Alfayate Spanyolország Dr. Maciej Czerwiński Lengyelország

IPS

MÁR MAGYARORSZÁGON IS ELÉRHETŐ

MEDENTIKA

IMPLANTÁTUMOK

Magas Precizitású Implantációs RendszerInnovatív Komponensek

Medentika® ÉLETHOSSZIG TARTÓ GARANCIA

PIACVEZETŐ

MÁRKAKOMPATIBILIS GYÁRTÓ

Az összes ismert implantátum rendszerrel kompatibilis.

MADE IN GERMANY Tradicionálisan magas minőség.

GYORSASÁG

Idő- és pénzmegtakarítás a fogtechnikusok és a fogorvosok számára.

PRECIZITÁS

Német mérnökök és fogászati szakemberek dolgoznak együtt, hogy tökéletes protetikai rendszert alkossanak.

Fenntarthatóság a fogászatban:

Cselekedjünk most!

Szakmánk olyan globális problémákkal is foglalkozik, amelyek ritkán javulhatnak meg maguktól. Valójában a legtöbb fogászati probléma egyre nagyobb kihívást jelent, hacsak nem avatkozunk be a fogászati kezelésekbe. Vegyünk egy pácienst, akinél a tünetek egy szuvas elváltozásra utalnak, amely a dentinbe is kiterjedt. A tünetek súlyosbodni fognak, és a szuvasodás előrehalad, hacsak nem végzünk sebészeti beavatkozást, nem távolítjuk el a szuvasodást, és nem pótoljuk restaurációval. A parodontitis néha csendben alakul ki, amíg a páciens nem jelentkezik jeleivel vagy tüneteivel. A probléma kezeléséhez cselekvésre van szükség. Ez lehet egyszerű fogkőeltávolítás, gyökérkezelés vagy végső soron a fog eltávolítása. Végül, és ami még komolyabb, ha a páciensnél tályog alakul ki, cselekednünk kell, mielőtt a fertőzés átterjedne más területekre, mivel ez komoly veszélyt jelenthet a páciensre nézve.

A bemutatott példák mindegyikében a szájüregi probléma komplex kölcsönhatások révén hatással lehet a páciens általános egészségére és jóllétére. A mi etikai szerepünk mindezen helyzetekben az, hogy tájékoztassuk a beteget a problémáról, és elmagyarázzuk, hogyan lehet megoldani azt, amit a betegspecifikus, eljárásspecifikus tájékozott beleegyezésen keresztül kapunk meg.

Ezt követően a kezelés megtörténik, a fogászati probléma megoldódik, és az általános egészségre és jólétre gyakorolt hatás enyhült. Ha a kezelésre nem kerül sor, az eredmény káros lehet a páciens számára, és a következmények idővel esetleg viszszafordíthatatlanok lehetnek.

Tegyük át gondolatainkat a Földre.

Ez a csodálatos bolygó biztosítja az élethez szükséges dolgokat, beleértve az emberi életet is, de a Földet továbbra is támadja az erőforrásokkal való rossz gazdálkodásunk. Ilyen például az egyszer használatos műanyagok folyamatos használata. Nap mint nap használjuk, majd kidobjuk őket.

A legtöbbjük nem bomlik le, hanem

inkább eltömíti a hulladéklerakókat és az óceánokat. Egyes műanyagok nem bomlanak le, és a környezetükben maradnak, ami a vízi és szárazföldi vadon élő állatoknak a lenyelés és a fulladás révén sérülést vagy halált okozhat. Egyes műanyagok kisebb részecskékre bomlanak le, amelyek aztán újrahasznosulnak a környezetbe, ami fizikai és toxikológiai kockázatot jelent az élő szervezetekre. A perspektíva kedvéért tekintsük ezt globális szinten. Becs-

összekapcsolja

Bár korábbi kutatások már utaltak a parodontitis és a gyulladásos bélbetegség (IBD) közötti kapcsolatra, a kapcsolatot és annak hatásait még nem vizsgálták teljes mértékben. Egy nagyszabású tanulmányban – az első ilyen jellegű, európai populáción végzett vizsgálatban – a Malmöi Egyetem kutatói más európai kutatókkal együttműködve bizonyítékot találtak a két betegség közötti szoros kapcsolatra. Az IBD a gyomor-bélrendszer gyulladásos megbetegedéseinek egy csoportja, elsősorban a Crohn-betegség és a fekélyes vastagbélgyulladás. Az IBD előfordulása világszerte növekszik, és Európában több mint 1,3 millió ember szenved benne. Okát nem ismerjük, de úgy vélik, hogy nem megfelelő immunválasz játszik szerepet benne.

A periodontitis és a gyulladásos bélbetegség krónikus gyulladásos betegségek, hasonlóan összetett patogenezissel.

(Kép: Emily Frost/Shutterstock)

meg” – magyarázta az egyetem sajtóközleményében a társszerző, Prof. Andreas Stavropoulos, a Fogorvostudományi Karról.

A vizsgálatot Dániában végezték, és az adatokat egy online kérdőív segítségével gyűjtötték össze, amelyet mintegy 1100 IBD-s beteg (akiknek körülbelül fele Crohn-betegségben, a többi fekélyes vastagbélgyulladásban szenvedett) és mintegy 3400 megfelelő, IBD nélküli kontrollszemély válaszolt.

A parodontitis és az IBD krónikus gyulladásos betegségek, hasonlóan összetett patogenezissel. „Mindkét betegséget úgy lehet leírni, mint az immunrendszer erős túlreagálását egy elméletileg viszonylag enyhe bakteriális kiváltó okkal szemben. Úgy is mondhatjuk, hogy az immunrendszer a saját testünket támadja

A kérdőíves válaszok kiértékelése azt mutatta, hogy az IBD-s betegek nagyobb valószínűséggel érzékelték rosszabbnak fogaik és ínyük általános egészségét, és nagyobb volt a valószínűsége annak, hogy súlyos parodontitisben szenvednek. A Crohn-betegséggel diagnosztizált betegek rosszabb szájüregi egész-

ségről számoltak be, mint a fekélyes vastagbélgyulladással diagnosztizáltak, és nagyobb eséllyel veszítettek el több fogat, mint a kontrollcsoport tagjai.

„A tanulmány azt mutatja, hogy az IBD-ben szenvedő betegeknél gyakoribb a parodontitis és kevesebb a foguk, mint az IBD-ben nem szenvedőknél. Azt is látjuk, hogy az IBD-s és parodontitiszes betegeknél a bélbetegség súlyosbodott, magasabb aktivitású, mint azoknál az IBD-s betegeknél, akiknek nincsenek szájüregi egészségügyi problémáik” – nyilatkozta Prof. Stavropoulos.

A tanulmány eredményei alapján a kutatócsoport arra a következtetésre jutott, hogy az IBD-s betegeket szoros megfigyelés alatt kell tartani a parodontitis kialakulásának megelőzése és/vagy a progresszió lassítása érdekében. „Hasonlóan fontos lehet, hogy a parodontitis kezelése pozitív hatással van az IBD kezelésére” – hangsúlyozta Prof. Stavropoulos.

A tanulmány, melynek címe: „Periodontitis prevalence in patients with ulcerative colitis and Crohn’s disease—PPCC: A case–control study”, A Journal of Clinical Periodontology 2022. decemberi számában jelent meg. DT

lések szerint az emberek percenként 1,2 millió műanyag palackot használnak (amelyek 91%-át nem hasznosítják újra), és évente 380 millió tonna műanyagot termelnek. Ezek a számok valóban megdöbbentőek. Tisztában vagyunk ennek káros hatásaival, és most kell cselekednünk. A fogászat is hozzájárul ehhez a problémához. Szakmánk sajnos klinikai munkafolyamatainkban az egyszer használatos műanyagokra támaszkodik, beleértve a védőrétegeket, a levegő/víz fecskendőket, a restaurációs anyagok csomagolását, az olyan műszereket, mint a mikrokefék és a szájhigiéniai segédeszközök. Elemeznünk kell a munkafolyamatainkat, és a lehető legtöbb egyszer használatos műanyagot el kell távolítanunk. Ennek most kell megtörténnie. Az iparosodásból és a járművek kipufogógázaiból származó szén-dioxid-kibocsátás továbbra is soha nem látott mértékben szenynyezi a légkört. Ezek a szennyező anyagok jelentős változásokat eredményeztek a légkörben és a bolygón, ami éghajlatváltozáshoz és megváltozott időjárási folyamatokhoz vezetett. Ennek következtében visszafordíthatatlan változások következtek be, beleértve a gleccserek olvadását, az áradásokat, a szárazságot, a katasztrofális viharokat, az ökoszisztémák megváltozását, a mezőgazdasági termelés zavarát, valamint az élőlények, köztük az emberek sérülését és pusztulását. Ha a globális hatást tekintjük, a számok rendkívül lehangolóak. Becslések szerint a fosszilis tüzelőanyagokból származó globális szén-dioxid-kibocsátás 35 milliárd (igen, milliárd!) tonna. Bár egyes bizonyítékok arra utalnak, hogy a károk mára már visszafordíthatatlanok, sürgős cselekvésre van szükség a kibocsátások csökkentése érdekében. A fogászat ismét a probléma része. Klinikai munkafolyamataink nagy része abból áll, hogy a páciensek a klinikáinkra ingáznak a személyes fogászati vizsgálatok és kezelések miatt. A pontatlan diagnózisok, a korlátozott, hiányos kezelés és a rossz kommunikáció azt eredményezheti, hogy a klinikára való ismételt járművel történő utazás – amely további szén-dioxid-kibocsátást eredményez –, vissza a klini-

kára olyan további eljárások miatt, amelyeket el lehetett volna kerülni. Vegye figyelembe ezeket a tényezőket munkafolyamatában: javítsa az információgyűjtést, állítsa fel a pontos diagnózist, szánjon időt a páciensekkel való kommunikációra és a megfelelő tájékoztatáson alapuló beleegyezés megszerzésére, nyújtson végleges kezelési lehetőségeket, és végül vizsgálja meg a távorvoslás lehetőségét. Tegye meg a maga részét abban, hogy megpróbálja korlátozni vagy csökkenteni a páciensei által igényelt gépjárműutak számát. A kanadai Western University Schulich School of Medicine and Dentistry nemrégiben készült tanulmánya szerint a világjárvány idején a virtuális orvosi látogatások 3,2 milliárd km-rel kevesebb utat tettek meg, és 545-658 millió kg szén-dioxid-kibocsátást eredményeztek. A cselekvés eredményekhez vezet, és mindanynyiunknak cselekednünk kell. Miért van itt az ideje a sürgős cselekvésre való felhívásnak? A rövid válasz az, hogy már évtizedekkel ezelőtt változtatnunk kellett volna környezeti hatásainkon. A tudományos bizonyítékok léteztek, és a károk nyilvánvalóan egyre nagyobbak voltak, de talán kihagytuk magunkat az egyenletből. Úgysem fogunk örökké élni, nem igaz?

A bizonyítékokon alapuló tudományos kutatásokból ma már tudjuk, hogy a bolygó interaktív rendszerek összetett hálója. Az egyik terület károsodása vagy megzavarása végső soron más területekre is hatással lesz. Ironikus módon a környezetszenynyezés és az éghajlatváltozás hatása most minket is érint. A tanulmányok mostanra megerősítették, hogy a megnövekedett szennyezés káros egészségügyi következményekkel jár, a légzőszervi megbetegedésektől kezdve az idegrendszeri rendellenességekig. Ezek közé tartozik egy nemrégiben készült tanulmány, amely szerint a közlekedés okozta légszennyezés összefüggésbe hozható a demencia megnövekedett kockázatával. Most kell cselekednünk, nemcsak a bolygó, hanem a mi egészségünk és a jövő generációk egészsége érdekében is. A fogászati betegségek és a környezeti károk hasonló jellemzőkkel bírnak – mindkettő olyan folyamat, amely mindaddig folytatódik, amíg beavatkozásra nem kerül sor. Mindkettő nagyrészt visszafordíthatatlan. Mindkettőnek széles körű kölcsönhatásai vannak, amelyek negatív hatással járnak. Mindkettő megelőzést igényel a probléma minimalizálása érdekében. Mindkettő cselekvést igényel. Nézzük ezt a csodálatos bolygót ugyanazon a szemüvegen keresztül, amelyen keresztül a betegeket nézzük. Korlátozzuk ökológiai lábnyomunkat, javítsuk a bolygó állapotát, és tegyük 2023-at azzá az évvé, amikor mindannyian fenntarthatóbb módon élünk és praktizálunk. DT

A szerzőről

Dr. Les Kalman a kanadai Western University restauratív fogászatának adjunktusa, valamint az orvosi eszközök és technológiák innovációjával foglalkozó kutató.

20 Dental Tribune Hungary Edition | 2023/01 SZÍNES HÍREK A NAGYVILÁGBÓL
Franziska Beier, Dental Tribune International Dr. Les Kalman úgy véli, hogy a fogászati betegségek és a környezeti károk hasonló jellemzőkkel bírnak, és mindkettő sürgős beavatkozást igényel. (Kép: Les Kalman)
Új tanulmány
a parodontitist és a gyulladásos bélbetegséget
NEODENT® DIGITAL SOLUTIONS
DIFFERENTIATE YOUR PRACTICE
Grand Morse® Connection

Fogászati szervi zek

Alpesi Fogászati Szerviz és Kereskedelmi Kft.

9024 Győr, Eörsy Péter út 13.

 : 06-20-951-8312, 06-20-328-2441 ) alpesi@alpesi.hu, web: www.alpesi.hu

Metasys amalgámszeparátorok, kezelőegységek, kézidarabok, száraz- és nedves elszívók, kompresszorok, autoklávok. Szerviz és kereskedelem. Metasys, Kavo, Planmeca, W&H, Prestige Medical, Stern Weber, Dürr, A-Dec, Woodpecker

Dentalcoop Plus Kft. –Kenedli Flórián

9700 Szombathely, Sárvár utca 12.

/fax: 06-94/318-590, mobil: 06-20/9565-480 ) info@dentalcoopplus.hu, www.dentalcoopplus.hu

Orvostechnikai eszközök (panoráma- és intraorális röntgen, autokláv, hőlégsterilizátor) időszakos felülvizsgálata! Kezelőegységek, panoráma- és intraorális röntgenek,autoklávok, kézidarabok, kompresszorok (Stern Weber, MyRay, Cattani, Nouvag, NSK, KaVo, W&H, Anthos, OMS, Planmeca,) szervize valamint értékesítése.

Fejér-Fog Kft.

1118 Bp., Breznó köz 11.  06-1-788-5391 ) info@fejerfog.hu, web: www.fejerfog.hu.

A W&H magyarországi vevőszolgálata, márkaszervize Prémium Service minősítéssel és forgalmazója

Modent Fogászati Szerviz

1077 Budapest, Rózsa u. 29.

 : 06-1-342-9348, mobil: 20/934-2986

(Diplomat Dental, Kavo, W&H, Bien Air, Ekom, NSK, MK-dent, EMS, Schick, Technodent, EuroC.A.D.)

FOGÁSZATI SZERVIZEK, GYÁRTÓK LISTÁJA

MEDISERVIS – Czuczor s.r.o Konopná 2, 94064 Nové Zámky

 : +421-35-642-6353

) mediservis@mediservis.sk, www.mediservis.sk

CHIRANA Magyarországi kizárólagos képviselője, Simple&Smart, Ekom, Medilux, Bien Air, CLT, NARDI, Ledex, Kovonax – ülőkék, Woodpecker, LM-Amdent

Röntgen Kft.

6000 Kecskemét, Aradi vértanúk tere 5. ) rontgenkft.hu, info@rontgenkft.hu

 76/482-250 vagy 30/9434-756

Kezelőegységek, panoráma- és intraorális röntgenek, röntgenfilm előhívók, autoklávok, hőlégek, kézidarabok, kompresszorok szervize, kereskedelme.

TELEMEDICA Szerviz

Orvostechnikai, Műszaki, Kereskedelmi és Szolgáltató Kft.

3521 Miskolc, Pólya Jenő u. 26.

 : 06-46/404-521, 06-20/974-6690

) telemedicaszerviz@gmail.com

web: www.telemedicaszerviz.hu

Kezelőegység, kézidarab, kompresszor, röntgen, elszívó, autokláv, sterilizátor, mennyezeti lámpa javítása és kereskedelme (Diplomat Dental, Kavo, Sirona, Finndent, W&H, A-dec, Bien Air, Planmeca)

Pharmabog

8640 Fonyód, Badacsony u. 15.

: 06-30-9488-151

): pharmabog@gmail.com

Pharmabog

Kezelőegységek, panoráma és intraoralis röntgenek, autoklávok, kompresszorok, elszívók, kézidarabok szervize és kereskedelme. (OMS, Dürr Dental, Owandy, TecnoGaz, Cattani. W&H)

Novodental

4025 Debrecen, Külső-Vásártér 3.

: 36-30-278-7634

): erzo69@gmail.com

(Kavo, Bien Air, W&H, Diplomat, Finndent, Diplomat Dental)

Dentalmode Kft.

4400 Nyíregyháza Szegfű u. 54/c

 06-20-9464-350

) info@dentalmode.hu

Dental-Medica Orvosi Műszer Szerviz Bt. 4032 Debrecen, Doberdó utca 2.  +36-52-416-027

) postmaster@dentalmedica.t-online.hu

DENTAL PARTNER PLUSZ Fogászati Szerviz

és Kereskedelmi Kft.

3561 Felsőzsolca, Mikszáth K u. 5. : +36-20-979-1990

): gabor@dentalszerviz.hu

Dental Support

2119 Pécel, Március utca 35.

: +36-30-316-5096

): szerviz@dentalsupport.hu

MEDICALCOREX Szerviz és Szolgáltató Bt.

1196 Budapest, Jáhn Ferenc u. 133.

: +36-30-6273037

):szerviz@medicalcorex.hu

RÖNTGEN szerviz és karbantartás, minden típusra DIGITÁLIS röntgen berendezések forgalmazása Kiegészítők, védőeszközök értékesítése SUGÁRVÉDELEM kiépítés, engedélyeztetés (OAH) IDŐSZAKOS felülvizsgálat (2 évente kötelező) Röntgen leszerelés, ÁRTALMATLANÍTÁS, hatósági jegyzőkönyvezés

Fogászati gyártók

BIONIKA Medline Kft.

3516 Miskolc, Tégla u. 29.

 06-20-964-4146

www.bionika.hu, www.implantshop.hu

): info@bionika.hu

Implantátum rendszerek és beültető műszerek fejlesztése, gyártása, kereskedelme a fogászat, szájsebészet, traumatológia, ortopédia területén.

Gyógylézer Család Kft.

: 06-1/203-0001, 06-70/679-8810

) ugyfelszolgalat@gyogylezer.hu

www.gyogylezer.hu

Orvosi diódalézerek 1989 óta: Gyártás és fejlesztésszerviz – kereskedelem – akkreditált továbbképzések

Kerox Kft.

2038 Sóskút, Kerox utca 1.

 : +36 30 203 1204

): info@keroxdental.net, www.keroxdental.net

Cirkónium alapanyag gyártása

Goldent Hungary Fogászati

Alapanyaggyártó és Kereskedelmi Kft.

2120 Dunakeszi, Alagi majori út 3.

 +36 27 543 230 fax: +36 27 543 231

A Saeyang mikromotorok kizárólagos importőre és szervizelője valamint a Goldent műfogak gyártója.

Pi Dental Fogászati Gyártó Kft.

1141 Budapest, Szugló u 83/85.  +36-1-363 2234 ) sales.pidental@pidental.hu Fogtechnikai gépek, berendezések gyártása

Savariadent

9700 Szombathely, Dr. Szabolcs Z. u. 5/A  +36-94-505-840 ) savdentinfo@gmail.com

Fogszabályozással kapcsolatos eszközök, szerszámok gyártása

Fertisol Kft.

1086 Budapest, Koszorú u. 12.  +36-1-334-3073, +36-1-631-8901

) fertisolkft@gmail.com

Fogászati alapanyagok, segédanyagok gyártása és forgalmazása, Major Super Lux fogak forgalmazása

Full-Tech Kft.

2310 Szigetszentmiklós, Csepeli út 30.

 : +36-20-459-8887

) info@full-tech.hu

Fogászati implantátumok, felépítmények és műszerek gyártása

Premet

1117 Budapest, Garda utca 4/A.  : +36-20-915-7528

) info@premet.hu

Professzionális felhasználású termékek gyártása 3D nyomtatással

Gallax Kft.

1121 Budapest, Teleszkóp u. 6.  : +36-1-395-3142, 06-30-984-9970, 06-30-962-2781

) gallaxdental@gallax.hu

Fogászati fúróeszközök gyártása

Dentech

4002 Debrecen, Bajmazújvárosi út 10.  : +36-52-538-301

) dentech@dentech.hu

Fogászati kéziműszerek gyártása

INDUCTOR Gyártó és Fejlesztő Kft. 2049 Diósd, Kőbányai út 1. /fax: 06-23-370-281, ) inductor@inductor.hu

web: www.inductor.hu

Nagyfrekvenciás öntőgép, thermopolimer injektor gyártása

elégedettpartner a
reklám
Az
leg obb
22 Dental Tribune Hungary Edition | 2023/01
BIONIKA Gallax Dental

Teljes szájrehabilitáció 72 óraalatt

▶ Egyfázisútechnika

▶ Azonnaliterhelésesprotokoll

▶ Egyedülállóprimerstabilitás

▶ Azegyetlentökéletesimplantátum-felépítmény „kapcsolat”–nincsmikromozgás

▶ Polírozottfelszín–nincstöbbéperiimplantitis

▶ Csontpótlásmentes,apáciensszámáraisigazán egyszerű,gyors, költséghatékonyimplantológia*

*Aköltséghatékonyság aztfejeziki,hogyazonoshatásosság(eredményesség)milyenköltséggel (ráfordítással)érhetőel.Aleginkábbköltséghatékonyazazeljárás,technológia,amelyikalegkisebb ráfordítássalalegnagyobberedménytériel.Azaz egészségügyitechnológia tekinthető költséghatékonynak,amelyazakárszűkösenrendelkezésreállóerőforrásokbólalehetőlegtöbb egészség-nyereséget termeli,illetveaztalegkisebberőforrásfelhasználássalállítjaaztelő. Azegészségügyifogalomtáralapján.

sofortimplant.com

A DIGITÁLIS SZABADSÁG VILÁGÁBAN!

A 10 éves Alpha Implant Kft. a hagyományos munkafolyamatok mellett a digitális workflow minden lépésére megoldást kínál. A digitális technika fejlődése a fogászati piacon is egyre nagyobb teret hódít. Ebben nyújt

segítséget a 6 lépésből álló Alpha Digital Workflow, amely az intraorál scanneléstől a kész fogmű behelyezéséig terjed. Ne zárja magát keretek közé, lépjen az Alpha Implant Kft.-vel a Digitális Szabadság Világába!

ÜDVÖZÖLJÜK
IMPLANTÁTUM IRÁNYÍTOTT SEBÉSZET
INTRAORAL SCANNER
FELÉPÍTMÉNYEK +36 1 353 9090 | info@alphaimplant.hu | www.alphaimplant.hu
CIRKON TÖMB PROTETIKAI
3D NYOMTATÓ REGIONÁLIS KÉPVISELŐ:

Turn static files into dynamic content formats.

Create a flipbook
Issuu converts static files into: digital portfolios, online yearbooks, online catalogs, digital photo albums and more. Sign up and create your flipbook.