Dental World 2023/1 - e-journal

Page 1

XXIII. Dental World Nemzetközi Fogászati Kiállítás & Konferencia 2023. október 12–13–14. Budapest, Hungexpo ESZTÉTIKA KONGRESSZUS dentalworld.hu e-Journal 23
YOUR WORLDWIDE NO.1 REFERENCE UNIQUE BIOFUNCTIONALITY OUTSTANDING QUALITY 1,2 > Strictly controlled raw material selection > Cutting-edge production > Quality management of the final product References ISO 13485 certificate, research and development 2 ISO 9001 certificate, multi site quality management www.geistlich-pharma.com/en/about-us/geistlich/ about-geistlich/quality/ FROM
THE
PRODUCT KNOWLEDGE IS IN OUR HANDS alphaimplant.hu More details about our products: www.geistlich-biomaterials.com
A TO Z:
WHOLE

Tisztelt Olvasó!

A Dental Press 2023-ban immár 23. alkalommal rendezi meg a Dental World Nemzetközi Továbbképző Konferenciát és Fogászati Szakkiállítást, a fogászat egyik legrangosabb találkozóját. Rendezvényünkre az előkészületeket már az elmúlt évben elkezdtük, de munkánk minden esztendőben újabb felelősséggel jár, hiszen meg kell felelnünk a szakma folyamatos fejlődésének és az állandóan változó igényeknek.

Mostani kiadványunk összeállításával az a célunk, hogy részletesebb és pontosabb tájékoztatást adjunk a Dental World ez évi rendezvényéről, hiszen a már jól bevált, hagyományos programok mellett mindig tovább kell lépnünk, a fogászat nóvumainak a bemutatása most is a céljaink között szerepel. Idén is sikerült olyan előadókat elhozni Budapestre, akik nemzetközi szinten is kiemelten elismert szakemberek.

A három nap során a fogászat legaktuálisabb témáit felölelő előadások várják majd Önöket, ahol hallhatnak pl. az implantológiai kutatások legfrissebb eredményeiről, a konzerváló fogászat, az orthodontia, az esztétika, az endodontia, a dentoalveoláris sebészet, a prevenció és a fogtechnika időszerű kérdéseiről, a legkorszerűbb módszerek alkalmazásának újdonságairól. A kiadványunk belső oldalain részletesen olvashatnak a szakmai előadásokról és a workshop programokról egyaránt, valamint a meghívott előadók életébe, kutatásaikba, gyógyító munkájuk eredményeibe is bepillanthatnak.

Célunk olyan rendezvénnyel várni Önt/Önöket, olyan érdekes és tartalmas eseményekkel, hogy a fogászatban dolgozók már év közben felírják a naptárjukba: 2023. október 12–13–14., azaz Dental World!

A szervezők nagyon örülnének, ha minél többen részesei lennének e rendezvénynek, ezért most kedvezményes jegy vásárlására is ösztönözzük a csatlakozni vágyókat.

Kérjük, tanulmányozza át a szakmai programokat, ahol több mint 20 országból, közel 60 ismert/elismert szakemberrel találkozhat, bővítheti tudását, és utána, majd a rendelőben szinte azonnal hasznosíthatja a naprakész ismereteit!

A kiállítótérben az eddigieknél még változatosabb, színesebb bemutatókkal, versenyekkel és élő műtétekkel is várjuk a látogatóinkat.

A körültekintő és alapos tájékoztatás érdekében küldjük el Önnek a DW 2023-as eseményeit tartalmazó Programfüzetünket, melyet úgy szerkesztettünk, hogy az eddigieknél még könnyebben megtalálja azokat az információkat, amelyek Ön számára a legfontosabbak!

„Három nap a fogászat szolgálatában” – a 23 évvel ezelőtt megfogalmazott mottónkat felidézve a szervezők és a rendezők nevében arra készülünk és reméljük, hogy a 2023-as Dental World is a fogászat emlékezetes és sikeres „nagy találkozója” lesz!

Legyen Ön is részese a fogászati világ budapesti „seregszemléjének”, várjuk szeretettel!

23
LACZKÓ
TAMÁS főszervező

Dental World Kongresszusok

3 napos konferenciák:

1 VÁLASZTOTT

KONGRESSZUS: esztétika / implantológia / endodontia / orthodontia

ALL ACCESS mind a 4 témakörű kongresszusra belépést biztosít

Digitális Fogászati Kongresszus: 25 000 Ft (teljes ár: 50 000 Ft)

Prevenciós, Földvári Imre Kongresszus: 18 000 Ft (teljes ár: 28 000 Ft)

Praxismenedzsment Kongresszus: 34 990 Ft (teljes ár: 49 900 Ft)

Jelentkezzen most!

EARLY BIRD kedvezmény

Július 31-ig!

Impresszum

Szervező és kiadó: Event Organizer Hungary Kft. 1012 Budapest, Kuny Domokos u. 9. tel.: 06-30-472-0030, info@dentalworld.hu www.dentalworld.hu

Felelős kiadó: Laczkó Tamás

Szerkesztés: Event Organizer Hungary Kft. –Sárközi András

DENTALWORLD.HU
ESZTÉTIKA • ENDODONTIA ORTHODONTIA • IMPLANTOLÓGIA KONGRESSZUSI
JEGYÁRAK
KEDVEZMÉNYES ÁRAK HATÁRIDEJE EARLY BIRD 2023. 07. 31-ig 70 000 Ft 105 000 Ft LATE BIRD 2023. 08. 31-ig 80 000 Ft 120 000 Ft LAST MINUTE 2023. 09. 30-ig 90 000 Ft 135 000 Ft TELJES ÁR 2023. 10. 01-től 100 000 Ft 150 000 Ft

Általános információk

Kiállítás helyszíne

Hungexpo Vásárközpont, 1101 Budapest, Albertirsai út 10. „A” pavilon

Kiállítás nyitvatartása

2023. október 12–13., csütörtök, péntek: 08.30–18.00

2023. október 14., szombat: 08.30–17.00

A háromnapos rendezvény alatt közel 250 szakkiállító várja az érdeklődőket, a kiállítás megtekintése díjmentes, de regisztrációköteles.

Kongresszusi regisztráció

2023. október 12–13–14. reggel 8 órától

A regisztráció a szakmai programokra kötelező. A regisztráció a Hungexpo „A" pavilon bejáratánál található. Regisztrációs kártyáját be- és kilépéskor kérjük, egyaránt érvényesítse! (Kérjük, a tanfolyamokra történt befizetést igazoló csekkszelvényét, banki átutalási bizonylatát mindenképp hozza magával!)

Kreditpont

*A három napos kongresszusok programjainak összpontértéke: 24, napi pontérték: 8

A tanfolyamok a szakma szerinti kategóriába tartoznak (szakképesítések, amelyekhez szakma szerinti pontszámként elszámolható: 1. arc-állcsont-szájsebészet, 2. dento-alveoláris sebészet, 3. fogszabályozás [fogorvos], 4. konzerváló fogászat és fogpótlástan), vizsga nincs, a kreditpontigazolást a rendezvényt követően küldjük el. A szakmai programokban a változtatás jogát fenntartjuk.

Workshop

A tudományos programok mellett megrendezésre kerülő workshopok és gyakorlati kurzusok termei az „A" pavilon galériáján találhatók, melyeket a helyszínen irányítótáblákkal jelölünk.

Megközelítés, parkolás

A parkolás a konferencia résztvevői és a látogatók számára ingyenes, behajtás gépjárművel a 4-es kapunál lehetséges. A környező utcákban díjmentes parkolási övezet található.

A rendezvény megközelíthető tömegközlekedéssel is:

Az Örs vezér tere metrómegálló és a Hungexpo vásárváros között a rendezvény napjain is közlekedik a 10-es autóbusz. Az M2-es metró Pillangó utcai állomásától a Hungexpo vásárváros főbejárata körülbelül 15 perces sétával elérhető. A Blaha Lujza téri metrómegálló közeléből, a Népszínház utcai végállomásról induló 37-es, illetve 37A villamosok Kőbánya felső vasútállomás megállóhelyétől a Hungexpo vásárváros III. kapuja – a vasútállomás alatti aluljárón át – 6-7 perces sétával elérhető.

Dental World

Nemzetközi Fogászati

Szakkiállítás és Konferencia

2023. október 12–13–14.

*
23

Dental World

Nemzetközi Fogászati Szakkiállítás és Konferencia 2023. október 12–13–14.

Helyszín:

Hungexpo Budapest Vásárközpont, 1101 Budapest, Albertirsai út 10. „A” pavilon

„A” PAVILON – KONFERENCIATERMEK – KIÁLLÍTÓTÉR

Programfelelős: Dr. Benyőcs Gergely

Programfelelősök: Dr. Volom András Dr. Gombos Ádám

Programfelelősök: Dr. Németh Zsolt Dr. Sidó Levente

Programfelelős: Dr. Borbély Péter

Programfelelős: Dr. Borbély Péter Programfelelős: Dr. Borbély Péter

23
Konferenciaterem 1. Konferenciaterem 2. Konferenciaterem 3. Konferenciaterem 4. Csütörtök, október 12. 09.50–18.00 Endodoncia Kongresszus 1 09.30–17.30 Esztétikai Kongresszus 1 09.30–17.30 Implantológiai Kongresszus 1 09.50–17.00 Orthodontia Kongresszus 1 Péntek, október 13. 09.50–17.30 Endodoncia Kongresszus 2 09.30–17.00 Esztétikai Kongresszus 2 09.30–17.00 Implantológiai Kongresszus 2 09.50–17.00 Orthodontia Kongresszus 2 Szombat, október 14. 09.50–17.00 Endodoncia Kongresszus 3 09.50–16.30 Esztétikai Kongresszus 3 09.50–16.30 Implantológiai Kongresszus 3 09.50–16.30 Orthodontia Kongresszus 3 Programfelelősök: Dr. Volom András Dr. Gombos Ádám Programfelelős: Dr. Benyőcs Gergely Programfelelősök: Dr. Volom András Dr. Gombos Ádám Programfelelős: Dr. Benyőcs Gergely

Dental World

Nemzetközi Fogászati Szakkiállítás és Konferencia 2023. október 12–13–14.

Helyszín: Hungexpo Budapest Vásárközpont, 1102 Budapest, Albertirsai út 10. „A” pavilon

KONFERENCIA- ÉS WORKSHOP TERMEK – GALÉRIA

Programfelelősök:

Pósáné Szűcs Erika

Róth Lajos

14.00–17.30

Programfelelős: Friss Tamás

Programfelelős: Dental World

17 kreditpont

Programfelelősök:

Hanser Zsolt

Kónya János

Róth Lajos

09.50–17.00

Digitális Fogászati Kongr.

Programfelelős: Dr. Radánovics-Nagy

Dániel

10.00–16.45

Prevenciós Kongresszus 2

15 kreditpont

Programfelelős: Volom Dental

09.00–16.00

Recepciósképzés 3.0avagy régi eszközökkel nem nézhetünk szembe az új kihívásokkal

09.00–12.30

Hogyan tudjuk meggyőzni pácienseinket a komplett rehabilitációról a minimál beavatkozás helyett?

Programfelelős: Flexi-Dent

13.00–16.30

Mennyit fizessek az asszisztensnek, mi marad nekem?

Programfelelős: Flexi-Dent

10.00–12.00

Espresso Anterior

Programfelelős: Dental World

09.30–13.00

Modern endodonciai kezelések a gyakorlatban

09.00–12.30

Páciensélménytervezés a fogászati praxisban

Programfelelős: Flexi-Dent

13.00–16.30

Hogyan toborozzunk új munkatársakat és tartsuk meg őket?

Programfelelős: Flexi-Dent

09.00–12.30

2023 leghatékonyabb fogászati marketing eszközei és kampányai

Programfelelős: Flexi-Dent

13.00–16.30

Az egészséges árak kialakítása

Programfelelős: Dr. Nagy Zsolt

8 kreditpont

Programfelelős: Dr. Radánovics-Nagy

Dániel

Programfelelős: Flexi-Dent

Programfelelős: Volom Dental

Programfelelős: Flexi-Dent

Konferenciaterem 5. Konferenciaterem 6. Workshop terem 1. Workshop terem 2. Workshop terem 3. Csütörtök, október 12. 10.00–17.00 Fogorvos- és fogtechnikushallgatói Kongresszus 09.20–17.30 Praxismenedzsment Kongresszus
Talent
09.30–17.00 Dental
Péntek, október 13. 10.00–17.00 Földvári Imre Fogtechnikai Kongresszus 09.30–17.30 Prevenciós Kongresszus
Bioarchitektúra –technika a molárisokhoz
1 10.00–17.00 Bioclear Modern Anterior Kompozit Technikák dr. Arthur Volkerrel
Szombat,
14.
október
23
a képzés napja választható

Open Dental Academy

Live Dental Show

2023-ban is a Dental World egyik kiemelkedő rendezvénye lesz az Implantológia Show az „Élő műtétek” bemutatásával. Jövőre is az üvegfalú „látványműtőben” felkért orvosok végzik majd egy-egy páciens nyilvános kezelését. A rutinszerűen alkalmazott műtéti technikák mellett új eljárásokat is bemutatnak az implantológia repertoárjából.

Fogorvos/fogtechnikus tanulóverseny

Az orvosi verseny résztvevői az ország négy, fogorvosi képzést nyújtó egyeteméről érkeznek, ahol belső versenyeken választják ki azt az egyetemenként 3-3 indulót, akik a Dental World-ön mérik össze tudásukat. Minden versenyző ötödéves egyetemi hallgató, és nyereményük többek közt egy út Leuven-be, a GC központjába. A fogtechnikus-tanulók részére 2023-ban már 12. alkalommal megrendezésre kerülő Győztesek Versenyére a Protetika Verseny győztese, az Országos Mintázó Verseny legjobbjai és az Ipartestület által rendezett Kerámiás Verseny helyezettjei kapnak személyes meghívást. A 12 magyar tanuló számára az idei évben is nagy kihívás a szakma egésze előtt a Dental World szakkiállításon bemutatni képességeiket, szakmai elhivatottságukat.

Demo Stage

2023-ban ismét a kiállítótér sugárútján kap helyet a Live Demo.

4 különböző programot szervezünk az alábbi témakörökben:

• Endodontia & Esztétika

• MicroWorld & Lézer

• Fogtechnika

• Oralszkenner

AlphaBio Buborék bár

Flexi kávézó

Dental Lounge

Várjuk szeretettel 2023-ban is!

Az Open Dental Academy programja minden látogató számára díjmentesen megtekinthető.

STRAUMANN® BLX IMPLANT SYSTEM

Confidence beyond Immediacy.

System overview

A Dental World tudományos

Dr. Volom András Dr. Gombos Ádám Dr. Benyőcs Gergely Dr. Németh Zsolt Dr. Sidó Levente Dr. Nagy Zsolt Friss Tamás Dr. Borbély Péter Dr. Radánovics-Nagy Dániel
kongresszusainak programfelelősei Esztétika Kongresszus Endodontia Kongresszus Implantológia Kongresszus Orthodontia Kongresszus
Fogászati Kongresszus Praxismenedzsment Kongresszus Prevenciós Kongresszus
Digitális

A 10 éves Alpha Implant Kft. a hagyományos munkafolyamatok mellett a digitális workflow minden lépésére megoldást kínál. A digitális technika fejlődése a fogászati piacon is egyre nagyobb teret hódít. Ebben nyújt

segítséget a 6 lépésből álló Alpha Digital Workflow, amely az intraorál scanneléstől a kész fogmű behelyezéséig terjed. Ne zárja magát keretek közé, lépjen az Alpha Implant Kft.-vel a Digitális Szabadság Világába!

ÜDVÖZÖLJÜK
IMPLANTÁTUM IRÁNYÍTOTT SEBÉSZET
A DIGITÁLIS SZABADSÁG VILÁGÁBAN!
INTRAORAL SCANNER
PROTETIKAI FELÉPÍTMÉNYEK +36 1 353 9090 | info@alphaimplant.hu | www.alphaimplant.hu
CIRKON TÖMB
3D NYOMTATÓ REGIONÁLIS KÉPVISELŐ:
Platina szponzor Arany+ szponzorok Arany szponzorok Ezüst szponzorok Hialuronsav Az egészséges fogíny receptje Az egészséges fogíny receptje Az egész csalàd számára

Gálaest

19:30 kapunyitás, asztalfoglalás, welcome koktél

20:00 köszöntő, büféasztalos vacsora ínyencségekkel

Program:
2023.
13., péntek
október
19.30–01.00
21:30 élő koncert 23:30 funkypop & dance
20:30 revüműsor
www.shop.realtrade.hu További információ: +36 1 261 6630
Színadaptív fényre keményedő kompozit ragasztócement
ÚJDONSÁG

Esztétika Kongresszus

A kompozit anyagok fejlődésének köszönhetően a direkt rétegző kompozit burkolatok ma már érvényes, gyors és kevésbé költséges megoldást jelentenek az elülső régió esztétikai rehabilitációjára. A sikeres esztétikai és funkcionális eredmények mindazonáltal nagymértékben függnek az operátornak az adhéziós folyamatokkal kapcsolatos ismereteitől és szobrászati képességétől.

23

Gyorsított polikromatikus

IV. osztályú restaurálás

Dr. Arthur Volker

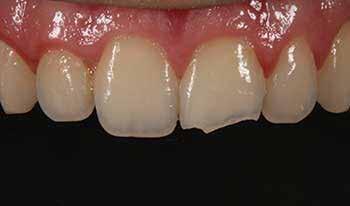
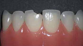
Egy teljes mosoly megtervezésekor vagy javításakor – akár közvetlenül, akár közvetve – a klinikus vagy a technikus alkotó, akinek feladata egy művészi remekmű létrehozása. Egy metszőfogtörés esetében azonban a klinikus kevésbé alkotó, mint inkább kovácsmester, akinek a környező és szomszédos fogazat minden optikai szempontját le kell utánoznia. Ez kihívást jelenthet az árnyalatválasztás szempontjából, mivel a legnagyobb színvariabilitás jellemzően a metszőfogak metsző harmadában található. Ez különösen igaz a fiatalabb páciensekre, akiknek gyakran van kiemelkedő áttetszőségük és opacitásuk ebben a régióban.

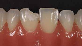
Több taktika is segíthet az összetett tömegek rétegződésének kezelésében ezekben a forgatókönyvekben. A palatális stent használata ennek egyik kiszámítható módja (1–4. ábra) . Ennél a technikánál a törött területről egy modellen wax-up vagy mock-up készül, és egy gyurma PVS stentet vagy indexet állítanak elő. Ebből egy vékony réteg erős, félig áttetsző kompozit – tipikusan nano- vagy mikrohibrid – kerül a stentre, amely a szájpadlásfelületet reprodukálja. Ezt követően különböző opacitású és transzlucenciájú kompozitrétegeket rétegeznek az arcfelületre, így létrehozva egy zökkenőmentes restaurációt (1. a–c. ábra) . Mivel viaszfelvételből készül, az okkluzális tényezőknek jól ellenőrizhetőnek kell lenniük.

Ennek a technikának az a hátránya, hogy szükség van egy mock-upra, akár intraorálisan, akár egy modellen történő wax-up segítségével. Ez időigényes lehet, és második időpontot igényelhet, amely nehéz vagy nem praktikus, különösen gyermek- vagy sürgősségi páciensek esetében. Ezenkívül kis törések esetén a kompozittömegek behelyezése nehezebben megoldható, mint nagyobb törések esetén.

Egy alternatív megközelítés az „üres vászon technika”, amely gyorsított polikromatikus helyreállítást biztosíthat kisebb törések, sürgősségi esetek vagy gyermekpáciensek esetében. Ez egy kromatikus mikrohibrid alapot használ, amelyet szükség esetén tinták vagy opakok követnek, és egy vékony réteg akromatikus mikrokitöltésű kompozit fed. A cél a törés elfedése és egy élethű, a környező fogazat transzlucenciájának és opacitásának megfelelő helyreállítás biztosítása.

Anyagok

Kromatikus mikrohibrid vászon

A restaurálás alapjául vagy vásznaként egy kromatikus mikrohibridet használnak. A restauráció körülbelül 80–85%-a mikrohibrid kompozitból áll.

A kromatikus mikrohibrid előnye kettős. Először is, nagy hajlítószilárdsága segít ellenállni az okkluzális terhelésnek (5–6. ábra). Másodszor, a mikrohibrid magas opacitása segít elfedni a töréseket (7–8. ábra)

A mikrohibridekkel az a probléma, hogy nem tartják jól a polírozást, és idővel tompának tűnhetnek.

Árnyalatok és fedőfestékek

A különböző áttetszőségek és opacitások reprodukálására szolgáló kompozittestek helyett folyékony fedőfestékeket és árnyalatokat használunk ehhez a funkcióhoz.

1. a–c ábra: A IV. osztályú restauráció rétegezésének irányításához használt szájpadlásstent.

2. ábra: A 9. számú fog törött részén metszési halo. A #8-as restauráción észlelt incisalis halo tipikus klinikai megjelenése.

fény a zománc kristályos szerkezetén belül visszaverődik. Amikor a fényt ugyanezen a területen áteresztik, a metszőfog szélén opacitás látható (9. ábra). Ezt nevezik ellenopaleszcens hatásnak vagy, amely még gyakoribb, „metszőfog halónak” (10.

ábra

17
A bemetszési perem polikromatikus megjelenése a zománc bukkális és lingvális felszínén keresztül viszszavert vagy áteresztett fény függvénye. Ez egy optikai hatás és nem anatómiai jellemző; az áttetsző vagy opálos jelenség akkor figyelhető meg, amikor a Dental World Journal / Esztétika Kongresszus
). 4. ábra: A nem esztétikus, egyszínű restauráció kezdeti bemutatása. 6. ábra: Azonnali műtét utáni fénykép. 8. ábra: A műtét előtti kezdeti fotó a IV. osztályú törést mutatja. 3. ábra: Kilenc év elteltével különbség a magas fényű mikrokitöltés (balra) és a mikrohibrid között. 5. ábra: A vízszintes hiperkromatikus hatások létrehozásához használt #8 K-file. 7. ábra: A helyreállítás négyéves visszaemlékezése. 9. ábra: Kerek gyémántfúró az átmeneti zóna lekerekítéséhez.

Az erős opaleszcencia jellemzően erős ellenopaleszcenciával jár. A 2. ábra szemléltetésképpen a 9. fog törésének metszőleges szélén megfigyelhető inceszális halót mutatja. A #8-as fogon egy hagyományosabb opaleszcencia/kontrapaleszcencia mintázat látható.

A transzlucencia megjelenése szürke, lila vagy kék színárnyalatokkal reprodukálható. A metszőfogak halójának kiemelésére fehér vagy árnyalatú opakert lehet használni. Megjegyzendő, hogy folyékony opakkerek is használhatók a kalcifikációk vagy a maverick hatások reprodukálására, és segíthetnek a törésvonalak elfedésében (11. ábra)

Mikrokitöltésű kompozit

A restauráció végső és leginkább fakális része egy mikrotöltött kompozit lesz, amely könnyen polírozható és idővel megőrzi fényét (12. ábra) . A 3. ábra a 9. fogon lévő réteges kompozitburkolat kilencéves követését mutatja. A páciens nem járt fogorvosnál mióta a burkolat elkészült. Az azonos szájüregi körülményeknek kitéve a mikrohibrid tompa megjelenése a distoincisalis részen ellentétben áll a mikrotöltött kompoziton megfigyelhető magas csillogással.

A mikrotöltésű kompozitok röntgenelnyelőek, különösen a mikrohíddal (13. ábra) összehasonlítva, amely a röntgenfelvételeken diagnosztikai problémát jelenthet, különösen az interproximális területeken. Mivel eredendően gyengék, a mikrotöltelékeket nem szabad olyan területekre helyezni, amelyek okklusális terhelésnek lesznek kitéve (6. ábra). Csak kis mennyiséget kell használni, az okklusális terhelés a sokkal erősebb mikrohibrid kompozitra marad.

Esetpélda árnyalatokkal

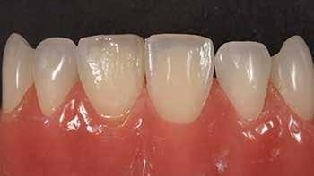
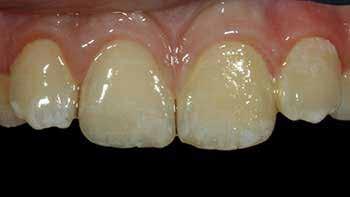
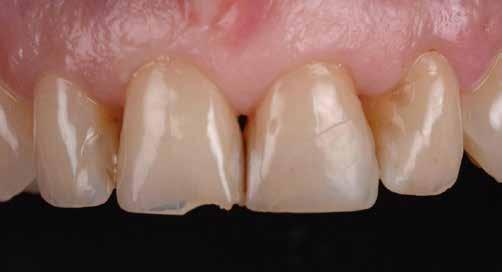
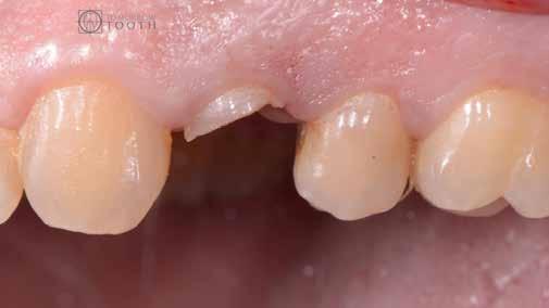
Egy páciens elégedetlen volt a 8. fog incisofaciális felszínén lévő kéthetes restaurációval, mert úgy gondolta, hogy a központi metszőfogak nem illeszkednek egymáshoz. A vizsgálat során megállapították, hogy bár az egyszínű kompozit valóban megegyezett a fog alapszínével, további színre (árnyalatra) volt szükség a szomszédos fog utánzásához (4. ábra)

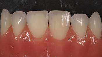
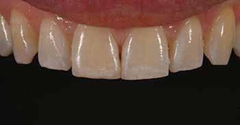
A fogakat nehéz latexmentes gumidámmal (Isodam, 4D Rubber) izolálták. A meglévő kompozitot eltávolítottuk; egy kromatikus mikrotöltésű kompozitot helyeztünk fel, és egy fehér színt (Creating Color, Cosmedent) vittünk fel egy #8-as K-résszel, vízszintes mozgással, hogy a vízszintes mintázatot lemásoljuk (5. ábra), ezután egy akromatikus mikrotöltésű kompozitot adtak hozzá. A 6. ábra az azonnali posztoperatív eredményt mutatja, a 7. ábra pedig a négyéves utóvizsgálatot, amely a mikrotöltött kompozit megmaradt fényét mutatja.

Üres vászon bemutató

ELŐKÉSZÍTÉS

A törés lefedése két lépésből áll.

Az első előkészítés egy 1–1,5 mm hosszú és 0,5 mm mély, a törés perifériája mentén elhelyezkedő, általában kerek gyémántfúróval végzett ferdítés. Ez a preparálás segít elfedni a törés nyomait. A letörést mikrohíddal fedjük le.

A második preparátum egy hosszú ferde – gyakran végtelen ferde vagy csillag alakú ferde (14.

18
Dental World Journal / Esztétika Kongresszus
ábra) 10. ábra: Lánggyémánt a végtelen ferdeség létrehozásához. – 11. ábra: Az átmeneti zóna ferdéje fölé helyezett kromatikus mikrohibrid, amely „üres vásznat” hoz létre. 12. ábra: Az áttetszőség szimulálására elhelyezett folyékony szürke árnyalat. 13. ábra: Folyékony opaquer a metszőfogak szélén a metszőfogak halójának másolására.

–, amely segít abban, hogy a mikrotöltött kompozit beleolvadjon a fogtestbe. A hosszú fazont lánggyémánttal készítik el, és szabálytalan mintázatban helyezik el.

A 8. ábra a kiindulási helyzetet mutatja a 9. fogon lévő MILF-töréssel. A durva és éles területeket elsimítottuk, és egy kerek gyémántfúróval létrehoztuk az átmeneti zóna sekély ferdeségét (9. ábra). Egy lánggyémántot használtunk a végtelen ferdeség kialakításához (10. ábra).

KOMPOZIT RÉTEGEZÉS

A restauráció nagy részének újraalkotásához kromatikus mikrohibridet (Renamel Microhybrid, Cosmedent) – ebben a példában az A1-es árnyalatot – használtunk. A mikrohibrid a teljes palatális oldalt fogja alkotni, és az arc felőli oldalon az átmeneti zóna ferde részének teljes egészét le kell fednie. Nem tanácsos, hogy a mikrohibrid túlmenjen a chamfer szélén, mert akkor nem marad hely a mikrotöltött kompozit számára, és a restauráció ezen része idővel tompának tűnhet, amely optikai diszharmóniát okozhat.

Ne feledje, hogy ha a chamfer nincs teljesen lefedve, a törés továbbra is látható lehet. Szükség esetén folyékony opakert lehet hozzáadni a törésvonal további elfedésére. Így jön létre az „üres vászon”. A felesleg vagy az okklúzió ezen a ponton beállítható. Ez szárazon történik, majd a restaurációra töltetlen gyanta (Complete Unfilled Resin, Cosmedent) kerül. A 11. ábra a behelyezett és beállított mikrohibridet mutatja.

Mivel a szomszédos központi metszőfogon nagy mennyiségű metszőfog-transzlucencia, valamint egy kiemelkedő metszőfog-halo volt, egy vékony, éles szondával (Matt’s Probe) szürke színt (Creative Col-

19 Dental World Journal / Esztétika Kongresszus
14. ábra: Tinták és fedőlakk kikeményítve. Figyeljük meg a polikromatikus megjelenés kialakulását. 16. ábra: Végeredmény. 15. ábra: Akromatikus mikrokitöltés az arcfelület átfedésére.

or, Cosmedent) helyeztünk a metszőfog harmadára, ügyelve arra, hogy elkerüljük a metszőfog szélét (12. ábra).

A mikrohibrid eredendő opacitása gyakran szolgálhat a fog szélén a metszőfogak halójaként, bár ha szükséges, a metszőfogak halóját tovább lehet fokozni folyékony opakkerrel. Ebben az esetben a fehér és A1 opaquer 50/50 arányú kombinációját egy gyantatartóban keverve, a szonda segítségével vittük fel az incisalis szélre (13. ábra). A 14. ábra a mikrohibrid kompozit felett a kikeményített árnyalatok és opakkerek hatását mutatja, amely polikromatikus hatást mutat.

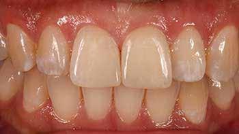
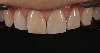
A tinták és opakok metsző hatásának fokozása és a tartós fényezés érdekében kis mennyiségű achromatikus mikrotöltésű kompozitot (Light Incisal, Cosmedent) helyeztek fel végső rétegként. A kompozitnak el kell fednie a lánggyémánt által létrehozott végtelenített ferdeséget, és csak a restauráció arcfelületére kell kerülnie, nem helyezhető el semmilyen okklúziós területre. A 15. ábra a felhelyezett, formázott mikrotöltött kompozitot szemlélteti. (Kromatikus kompozit is használható, ha a metszéshatás nem kifejezett). Korongok és polírozók kombinációjával a restaurációt a szomszédos fog utánzása érdekében befejezték (16. ábra).

Következtetés

A blank canvas technika gyorsított módszert jelent a polikromatikus IV. osztályú törések megoldására olyan esetekben, mint a trauma (felnőtt és gyermek), valamint a kis törések, ahol nehéz lehet a kompozittömegek manipulálása, vagy ha a szájpadlásrögzítés tarthatatlan.

Megjegyzendő, hogy nanotöltésű vagy nanohibrid kompozitok is használhatók ehhez a technikához, ha kisebb készletre van szükség, bár ez némi esztétikai és funkcionális kompromisszumot jelenthet.

Az 1. táblázat a technika előnyeit és hátrányait sorolja fel.
20 Dental World Journal / Esztétika Kongresszus
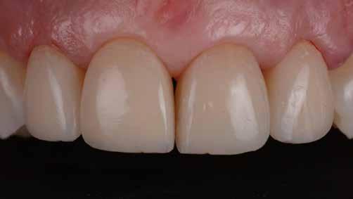
17–21. ábra: További klinikai példákat mutatnak a technikával helyreállított fogakra. 1. táblázat
Eighteeth Brilliance 48° Döntött Lecséjű Loupe Állítható Nagyítással (4,9-5,6X) 499 990 Ft Bioclear Matricarendszer BT Anterior, Evolve és a Diamond Wedge-ek 5 490 - 349 990 Ft Eighteeth Curing Pen Hipererős és Ergonomikus Polimerizációs Lámpa 79 990 Ft Helios 500 Oralscanner Ultragyors, Pillekönnyű, Pontos és Egyszerű 4 999 990 Ft 20 ÉVE ÚJDONSÁGOKKAL AZ ESZTÉTIKA MINDEN TERÜLETÉN @volomshop volomshop.com shop@volomshop.com Olvassa be a QR-kódot termékeinkért!

héjak - Unica anterior

Dr. Jordi Manauta

Bevezetés

Ha a múltat nézzük, a fogászattal kapcsolatos leggyakoribb gondok az egészséges fogak és a helyes mosoly voltak.

Az esztétika és a konzervatív fogászat iránti igény az elmúlt évtizedben a páciensek kívánságai miatt jelentősen megnőtt. Napjainkban az esztétika számít, a tökéletes mosoly elengedhetetlen, és bizonyított, hogy befolyásolja a páciens önértékelését és pszichoszociális jólétét [1].

A tudományos statisztikák és a klinikai adatok alapján a direkt rétegző kompozitburkolatok érvényes megoldást kínálnak az elülső régió esztétikai rehabilitációjára.

A hagyományos kerámia megoldásnál olcsóbb, a kompozitburkolatok közvetlen rétegezése egyetlen üléses kezeléssel elvégezhető, és a rétegezés

során a páciens igényeinek megfelelően módosítható.

Emellett a standard és nanotöltésű kompozitok fejlődése jobb mechanikai tulajdonságokat és kopásállóságot eredményez [2] [3].

Az elülső kompozit restaurációkkal kapcsolatos prospektív tanulmányok nemrégiben végzett metaanalízise szerint az 5 éves klinikai használat után a becsült teljes túlélés mediánja 84,6% [3].

A közvetlen rétegelt kompozit fogpótlásokhoz kapcsolódó leggyakoribb szövődmények a törés, a szuvasodás, a festődés, a színromlás és a felületi érdesség megváltozása [4] [5] [6] [3][7]. A kompozitanyagok könnyen javítható tulajdonságai azonban megoldhatják ezeket a komplikációkat, illetve direkt restaurációk nem igényelnek zománcérdesítést, mivel a foszforsavval történő maratás elegendő a kötésszilárdság javításához.

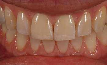
1. kép: A kezdeti klinikai helyzet, amely a nem kielégítő anatómiájú elülső állcsonti fogakat és a törött metszőfogat mutatja 11. Úgy döntöttünk, hogy az elülső fogak átfogó esztétikai rehabilitációját közvetlen rétegző kompozitburkolatokkal végezzük el. – 2. kép: Az izolált mező a fogfelületek tisztítása, fertőtlenítése és polírozása után. Az elülső fogak vészprofiljainak helyreállítására különböző módszerek alkalmazhatók. Úgy döntöttünk, hogy a Polydentia Unica anterior módszerével járunk el, mivel ez egyszerűsíti az eljárást, lehetővé téve a teljes emergens profil, azaz a nyaki és az interproximális peremek közvetlen helyreállítását egyetlen lépésben.

3. kép: A központi metszőfogakra helyezett Unica anterior matricák. Ebben az esetben az acélmátrixok belső merevsége és az ép kontaktpontok jelenléte jó stabilitást biztosítottak, és ékek és gyanta nélkül rögzítették a mátrixokat. Ezenkívül a mátrixok konvex alakja lehetővé teszi a gumidám hatékonyabb elhelyezését a nyaki területen, amely a műtéti mező jobb izolációját garantálja. – 4. kép: A központi metszőfogak alsó nézete, kiemelve a felületi preparációt.

Direkt
rétegzett kompozit

5. kép: A 21-es metszőfog proximális falának felépítése utáni klinikai helyzet: először egy univerzális rendszerragasztót használtunk a zománcban lévő kötőerők növelésére, mielőtt folytattuk volna a meziális és disztális interproximális falak közvetlen rétegzését zománckompozit felhasználásával. Ezt követően ugyanezt az eljárást megismételtük a második központi metszőfogon. – 6. kép: Az interproximális falak felépülése után a szájpadlás falait modelleztük a fog szögletének imitálása érdekében, az ujjra helyezett kis mennyiségű zománckompozit segítségével. Ezután a zománckompozitot a palatális felületre és az előzőleg modellezett proximális vezetőkre nyomtuk, majd fénykeményítettük.

7. kép: Kompozitburkolatok rétegzése: először egy dentinréteget helyeztek el. – 8. kép: Egy második zománcréteget helyeztek fel, hogy utánozzák a fog árnyalatait, spatula és ecset segítségével a végső formára modellezték. A képen a központi metszőfogak kompozitburkolatai láthatók a kontúrozás és az előmunkálatok előtt a következő fog felépítése előtt.

A központi metszőfogak kontúrozása után a korábban leírt módszerrel folytattuk a kompozitburkolatok közvetlen rétegzését az oldalsó metszőfogakon. – 10. kép: Sürgősségi profil felépítése a 22. metszőfogon. Az anyag fotopolimerizálása után a mátrixot leválasztják és lehúzzák a jobb láthatóság érdekében.

Technika

A közvetlen rétegezésű kompozitfurnérok egy vagy több kompozitgyanta réteg közvetlen felviteléből állnak, közvetlenül a fogszerkezetre. A kompozitot ezután a szín- és formahibák korrekciója céljából megformázzák, így az esztétikai helyreállítás általában egyetlen rendelésen belül elvégezhető [8].

Az elülső fogak helyes alakjának és vészprofiljainak helyreállításához különböző eszközök használhatók.

Napjainkig a közvetlen rétegző kompozitburkolatokkal történő restaurációk leggyakoribb eljárása az interproximális és a nyaki peremek két különböző lépés-

ben történő helyreállításából állt, két hátsó mátrixot használva az interproximális peremekhez, illetve egy meghatározott formára vágott mátrixszalagot a nyaki terület helyreállításához.

Ebben az esettanulmányban úgy döntöttünk, hogy a Polydentia új elülső mátrixát, az Unica anterior mátrixot használjuk, mivel ez egyszerűsíti az eljárást, lehetővé téve a teljes emerge profil, a nyaki és az interproximális szegélyek közvetlen helyreállítását egyetlen lépésben.

Ezt az új mátrixot alkalmazva a fogfelületeket először előkészítjük és megtisztítjuk, hogy befogadhassuk a kompozitburkolatot.

Dental World Journal / Esztétika Kongresszus 23
9. kép:

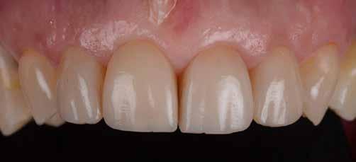
11. kép: A képen a 12. és 22. oldalsó metszőfogak kompozitburkolata látható a kontúrozás, a befejezés és a polírozás előtt. A kontúrozást és a finírozást alacsony fordulatszámú gyémántfúróval végeztük. Az alacsony fordulatszám lehetővé teszi a mozgás jobb kontrollálását és a felület simaságának javítását, még durva szemcseméret esetén is. Az előpolírozást ezután barna spirálkerékkel (3M, Németország) és polírozópasztával (premier, Diamond twist SCL) végeztük, míg az extra fényes befejezést polírozó kerékkel lehet elérni. – 12. kép: A kofferdám eltávolítása utáni azonnali eredmény.

13. kép: A klinikai helyzet a restauráció végleges polírozása és textúrázása után. Ez a kép a restaurációt követő 30 napos ellenőrzés során készült.– 14. kép: A helyreállítás végeredménye.

A felső állkapocs elülső fogai nem megfelelő anatómiával és a 11-es metszőfog törésével jelentkeztek.

A klinikai vizsgálat szuvasodásmentes fogakat és kielégítő szájhigiéniát mutatott.

Az anamnézist és a klinikai vizsgálatot követően úgy döntöttünk, hogy 4 direkt kompozitburkolatot készítünk az összes központi és oldalsó metszőfogra, teljesen adhezív és additív technikával, minimális előkészítéssel.

15. kép: Klinikai helyzet 3 hónappal a restauráció után.

A mátrixot ezután a fogakra helyezik és rögzítik. Általában műanyag vagy fa ékeket lehet használni a mátrix megfelelő rögzítéséhez. Alternatív megoldásként, pl. széles III. osztályú restaurációk esetében, ahol az ék elhelyezése veszélyeztetheti az interproximális profilt azáltal, hogy a mátrix az üregbe omlik, a folyékony gát (pl. Polydentia myCustom Resin) megfelelő alternatíva lehet a mátrix helyben tartására.

Ezután kompozitrétegzés történik: először az emergency profil helyreállítása, majd a palatális falak modellezése következik. Ezután a durva fogmorfológiát rekonstruáljuk az alkalmazással, és egy vagy több kompozitréteggel megformázzuk.

A fog végleges formáját ezután fúrók, csiszolókorongok és polírozókészülékek segítségével kontúrozzák.

Esetleírás

A páciens egy 52 éves nő, a mosolyával elégedetlenül fordult hozzánk.

A következő esettanulmányok a Polydentia új Unica anterior mátrixának felhasználásával végzett közvetlen kompozit elművesítési eljárást szemléltetik.

Következtetés

A kompozitanyagok fejlődésének köszönhetően a direkt rétegző kompozitburkolatok ma már érvényes, gyors és kevésbé költséges megoldást jelentenek az elülső régió esztétikai rehabilitációjára. A sikeres esztétikai és funkcionális eredmények mindazonáltal nagymértékben függnek az operátornak az adhéziós folyamatokkal kapcsolatos ismereteitől és szobrászati képességétől.

Különböző eszközök és eljárások segíthetnek a klinikusnak a sürgősségi profil helyes helyreállításában; ezek közül az új Unica anterior mátrix kiemelkedik egyszerűségével és sokoldalúságával, amely lehetővé teszi a nyaki és interproximalis profilok gyors és könynyű helyreállítását egyszerre, jelentősen csökkentve a székben töltött időt, és mindenki számára elérhető közelségbe hozva az esztétikai helyreállításokat.

24 Dental World Journal / Esztétika Kongresszus

A magabiztos mosolygás nem csak álom!

Vágj bele a láthatatlan fogszabályozásba

és mosolyogj bátran!

Mosolyogj felszabadultan!

Hogy mi szól a ClearCorrect mellett?

kényelmes

hatékony

víztisztán áttetsző, vagyis

teljesen láthatatlan

fémmentes

könnyű tisztítani

Láthatatlan Egyszerű használat Kényelmes
Látogasson el weblapunkra a QR kód segítségével ACC017/it/00 04/19

Törött premoláris multidiszciplináris helyreállítása

Dr. Marco Mailonio

1. ábra: Egy 35 éves kaukázusi férfi páciens az 1.4-es fog (felső első premoláris) törése miatt kereste fel rendelőnket, a törés ferde volt. A sérült fogak helyreállítása során az egyik legfontosabb lépés a megmaradt fogazat biomechanikai értékelése. Egy hiba ebben a fázisban káros a hosszú távú eredményre. A legtöbb repedést például a fogüregek helyreállító fogászathoz való helytelen előkészítése okozza. Ugyanígy a fennmaradó szerkezet helytelen értékelése idővel mechanikai okokból bekövetkező meghibásodáshoz vezethet. ― 2. ábra: Az okkluzális nézet a fogszerkezet mennyiségét mutatja, a röntgenfelvételen az 1.5. fogon II. osztályú szuvasodás is látható. Még ha lehetséges is ezeket az eseteket koronahosszabbítással kezelni, a végeredmény átlagosan nem kielégítő. A ferrule gyógyulása korlátozott, és olyan parodontális szövődményekkel is találkozunk, mint a fekete háromszögek, a szomszédos fogak gyökérkitettsége. A fogszabályozó extrúzió sokkal előnyösebb.

a-b ábrák: Az 1,4. és 1,5. fogat kofferdám alatt izolálták. Az 1,5. fogat direkt technikával, szelektív szuvasodás-eltávolítással restauráltuk, hogy elkerüljük az endodontiai kezelést. Az 1.4. fogat endodontikusan kezelték.

4. ábra: A fogszerkezet helyreállítása és a fogrestaurációs komplexum ellenálló képességének javítása érdekében ortodontikus extrúziót végeztek a szomszédos fogakra ragasztott drót és egy egyszerű rugalmas ligatúra segítségével.

5. ábra: Az extrudálás nyomon követése néhány hét múlva. Az extrúzió végén a lágyrészek kisebb mértékű újrakontúrozása történt. A szerző általában fibrectomia nélkül végzi az extrúziót, és az extrúzió végén a lágyrészek újrakontúrozását végzi.

3.

6. ábra: A fog az extrúzió és a függőleges preparálás után. A függőleges preparáció a legjobb preparátum a fog szerkezetének megőrzése szempontjából, különösen akkor, ha minimálisan invazív megközelítéssel alkalmazzák. A szerző egy módosított vertikális technikát alkalmaz, amely nagyobb hangsúlyt fektet a pericervikális dentin fenntartására.

7. ábra: A bukkális szerkezet összehasonlítása extrudálás előtt/után. A maradék fogazati struktúra okklusális terhelése most sokkal kedvezőbb a hosszú távú eredmény szempontjából.

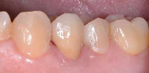
8. ábra: Ideiglenes eltávolítás. 9. ábra: Még a szájpadlásfalon is volt fogazati struktúra-gyarapodás. A szájpadlásfal mintegy 35%-a már szilárd fogazati struktúrán van. Ez a jobb biomechanika miatt sokkal jobb eredményt tesz lehetővé a későbbi restauráció számára.

10. ábra: A cirkónium-dioxid korona cementálása üveg-ionomer cementtel. Ezzel a megközelítéssel nyilvánvaló, hogy a ferrule mennyisége a szomszédos fogakra gyakorolt bármilyen komplikáció nélkül nyert. A parodontális apparátus valójában érintetlen. Nincsenek fekete háromszögek, nincs a szomszédos fogak gyökérkitettségének kockázata. Már a szülés napján megvan a papilla, amely kitölti az intraproximális tereket. A nyert ferrule mennyisége hatalmas. A bukkális falon könnyen felismerhetjük, hogy az egész fal már szilárd fogazati struktúrán van, a palatális falon pedig az ajánlott 1-1,5 mm-nél jóval több. A függőleges preparálással szintén könnyen meg tudjuk tartani a visszanyert fogszerkezet mennyiségét , különösen a pericervikális dentin területén, ami a legfontosabb a hosszú távú eredmény szempontjából.

A mindennapi gyakorlatban gyakran találkozunk súlyos fogszuvasodással. A fogorvosnak mindig kihívást jelent a döntés, hogy kihúzzuk és implantátummal pótoljuk, vagy megmentjük a fogat, de kétséges a hosszú távú prognózis. Számos cikkből tudjuk, mint például Seltzer és Kim

cikkéből, hogy a fogak visszanyerése jobb megoldás, különösen a fiatalabb betegeknél. A kirakós hiányzó kulcsa az általános fogorvos számára gyakran a maradó fogazat jó biomechanikai értékelése. Az endodontikusan kezelt fogak kudarcainak többsége valójában mechanikai hibákhoz, például repedéshez és töréshez kapcsolódik. A maradó fogszerkezet gondos biomechanikai értékelése, valamint a mechanikai teljesítményt javító technikákra való összpontosítás a legfontosabb a hosszú távú eredmény keresésében. A szerző praxisában a vertikális preparálás és a minimális megközelítés kombinációja, valamint az ortodontikus extrúzió alkalmazása a restauratív fogászatban megváltoztatja a helyzetet, amint azt a következő eset is mutatja.

Következtetés

Az implantológia térhódítása után a restauratív/protetikai fogászatban a léc magasabbra került. A fogászati implantátumokkal való sikeresebb „versenyzéshez” a fogorvosoknak sokkal jobban kell összpontosítaniuk a fogak biomechanikai helyzetének értékelésére és javítására. A biomechanika mély megértése és a fogak teherbíró képességét javító technika alkalmazása a legfontosabb a hosszú távú siker érdekében.

Irodalomjegyzék

Comparison of Long term survival of implant and endodontically treated teeth J Dent Res 93(1):19-26, 2014)

Dental World Journal / Esztétika Kongresszus 27

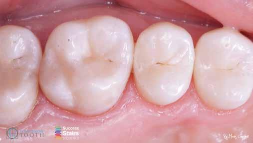
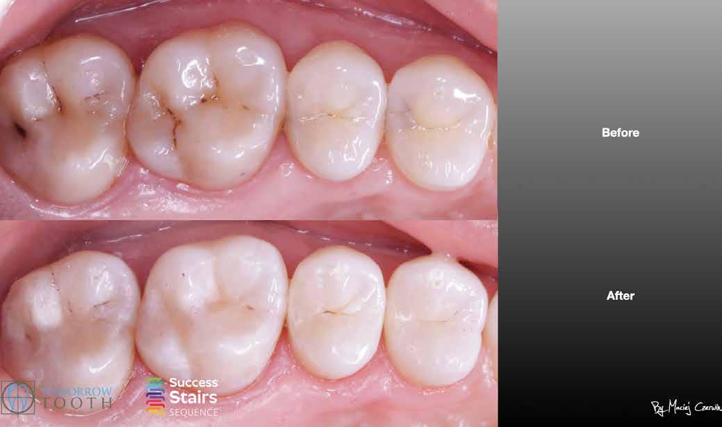
Érintkezési terület

Dr. Maciej Czerwiński

1. ábra: Kezdeti fotó. Kvadráns fogászati eset két I. osztályú és két II. osztályú üreggel a premolárisokban. A restauratív kezelés egyik legfontosabb lépése az izolációra való előkészítés. A kezelés első lépésében meg kell nyitnunk az interproximális területeket, és az üregeket az íny szintjéhez közel kell preparálnunk. Ebben a fázisban egy optimális Shape Factort is létre kell hoznunk, amely a későbbi mátrixadaptációt sokkal könnyebbé teszi. ― 2. ábra: 2. lépés. Izolálás és végleges fogszuvasodás előkészítése. A kezdeti előkészítés után sokkal könnyebb a gumidám felhelyezése. Az üregek erős érintkezési pontjai és éles szélei nélkül kiküszöbölhetjük a gumidám elszakadásának kockázatát. Az izolálás szakaszában el kell végeznünk a gumidám megfelelő megfordítását és a bilincs újrapozicionálását.

Megfelelő mátrix kiválasztása és adaptálása. Amikor befejeztük a fogszuvasodás előkészítését, ki kell választanunk a megfelelő mátrixot. Számos tényező határozza meg a megfelelő mátrix kiválasztását. Az üreg formáját, az üregszegély és a szomszédos fog közötti távolságot és a kontaktzóna helyzetét figyelembe kell venni a mátrix kiválasztásakor. Bizonyos helyzetekben a gyűrűs fogazat formálja a mátrixot. 4. ábra: 4. lépés. Mátrix adaptáció. A gyűrű pozíciójának megváltoztatása után javíthatjuk a mátrix alakját. A mátrix adaptálásának számos módja van. Az egyik megközelítés a teflonból készült egyedi ékek használata - TeflonFloss technika. Ez egy olyan egyedi módszer, amely nagyon egyszerűvé és kiszámíthatóvá teszi a mátrix adaptációs folyamatát.

Mátrix adaptáció. A különböző klinikai helyzeteknek megfelelően különböző mátrixsávokkal kell dolgoznunk. Ha az üreghez való hozzáférés kicsi, az egyik legjobb technika az átlátszó mátrix és a TeflonFloss technika kombinációja.

5. a-b ábrák: 4. lépés. 3. ábra: 3. lépés.

6. ábra: 4. lépés. Mátrix adaptáció. A piacon különböző gyűrűk vannak forgalomban. A gyűrűk alakja és erőssége eltérő. Az előadás során bemutatom a fémgyűrű és az Elliot elválasztó kombinációját, amely segíti az elválasztási folyamatot.

7. ábra: 5. lépés. A kompozit felhelyezése. A kompozit felhelyezésének különböző módjai vannak. Az egyik az injekciós-felülformázásos technika. Ez csökkenti az üregek kialakulásának kockázatát, és nagyon simává teszi az interproximális falak felszínét.

8. a–b ábra: 6. lépés. Az érintkezési pontok helyzetének ellenőrzése. A megfelelő mátrix segítségével optimális pozícióban hozhatjuk létre az érintkezési pontot.

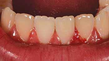
9. ábra: Előtte és utána. Összefoglaló. A helyreállító kezelést szakaszokra kell osztani. Minden szakaszban el kell végeznünk néhány műveletet, ami a következő lépést sokkal könnyebbé teszi. Az izolálás előkészítése, izolálás, biztonságos fogszuvasodás előkészítése, mátrixválasztás és mátrixadaptáció néhány szakasz. Különböző mátrixrendszerek és különböző mátrixadaptációs technikák alkalmazásával optimális eredményt érhetünk el.

Dental World Journal / Esztétika Kongresszus 29

Esztétika Kongresszus

2023. október 12., csütörtök

09.35–09.45 Dr. Gombos Ádám, Dr. Volom András: Megnyitó

09.45–11.30 Daniele Rondoni (Olaszország): A helyreállítás hosszú élettartama döntő kritérium a kezelési választásunkban?

Az első részben az új generációs anyagok különbségét és tulajdonságait fogjuk elemezni, bemutatva a klinikai esetek végeredményeit és hosszú élettartamát. Fontos szempont, hogy mélyrehatóan megvizsgáljuk azokat a befolyásoló tényezőket, amelyek fontosak az ideális anyag kiválasztásához az egyéni türelmi igényeknek megfelelően. Az előadó továbbá egy új megközelítést mutat be, amely nagyon egyszerűen segít Önnek a kiszámítható esztétika megteremtésében az ideális indirekt kezelésekkel készült fogpótlások előállítása során. Emellett bemutatja, hogyan javíthatjuk képességeinket és hatékonyságunkat egy ideális digitális munkafolyamat segítségével.

11.30–12.30 Dr. Ronaldo Hirata (Brazília): Esztétikus

kompozitrestaurációk receptjei

A kompozitrestaurációkat széles körben indikálják a mindennapi gyakorlatban a hagyományos amalgám alapú anyagok kiváltása és a polimer alapú anyagok esztétikai eredményének javítása miatt. A klinikai helyzetekben a kompozitrestaurációk konzervatív megközelítésük, reverzibilitásuk és javíthatóságuk miatt jobban indikáltak, mint más lehetőségek, különösen a fiatalabb páciensek esetében. Kötelező felismerni ezeket a speciális klinikai helyzeteket.

A szakirodalomban leírt számos technika közül a rétegezési technikáról általában azt állítják, hogy reprodukálja a természetes fogazat szempontjait, és lehetővé teszi a polimerizációs zsugorodás által generált stressz szabályozását.

A rétegezési technika azonban a ragasztási eljárások, az anyagkezelés és a fogászati anatómia mélyreható ismeretét igényli, ami összetetté és időigényessé teszi. Az ilyen hátrányok leküzdése érdekében a polimerkémiai technika fejlődését és új rétegezési technikákat javasoltak. Például alacsony zsugorodású kompozitokat fejlesztettek ki az üregek tömeges kitöltésére, amelyek kiküszöbölik a hagyományos rétegezési technikákhoz szükséges lépéseket, ami jelentősen leegyszerűsíti a kompozitgyanta-restaurációs eljárásokat. A tömeges kitöltés lehetővé teszi, hogy a restauráció egy vagy két rétegben épüljön fel, a tömeges kitöltésű kompozit típusától és tulajdonságaitól függően. Ez az előadás a kompozitok mai indikációit tárgyalja, és kitér a kompozitrétegezés alapvető technikáira (dentin/kromatikus/akromatikus zománc), valamint a kevesebb réteget használó módosított technikára és az alacsony zsugorodási sebességű kompozitokra. Az egyes technikák lépésről lépésre történő sorrendjét ismertetjük, valamint az egyes technikák kihívásait és lényegét. A NYU-n végzett kutatás során kapott eredmények is bemutatásra kerülnek.

12.30–14.00 Ebédszünet

14.00–15.30 Prof. dr. Marko Jakovac, Dragan Stolica (Horvátország): Digitális protokoll a minimálisan invazív fogászatban

A fogászat és a rögzített fogpótlás megváltoztatja protokolljait. A digitális forradalom egyre inkább betör a mindennapi fogászati gyakorlatba. A digitális munkafolyamatok felé tett első lépések már évtizedek óta ismertek. A teljesen digitális protokoll azonban nem volt lehetséges mindaddig, amíg nem rendelkeztünk a szájüregi rehabilitációkhoz elég pontos digitális szkennerekkel. A szkennerek mellett új, nagy pontosságú 3D nyomtatókra, maróeszközökre és anyagokra is szükségünk volt. Néhány évvel ezelőtt nem tudtunk nagy fesztávolságú hidakat készíteni kompromiszszumok vagy kézi rétegezési technikák nélkül. Ma már tudományos bizonyítékunk van arra, hogy a digitális szkennerek pontosság tekintetében közel állnak az analóg lenyomatokhoz. Az új anyagok kivételes esztétikai és mechanikai tulajdonságokkal rendelkeznek, és rétegezés nélkül használhatjuk őket teljes ívű restaurációkhoz. Bizonyos korlátozásokkal ma már áttérhetünk a teljesen digitális munkafolyamatra. A legtöbb fogorvos ismer néhány analóg protokollt, és képesnek kell lennie arra, hogy ezeket a digitális fogászatban is használja. A protokollok nagyon fontosak a prediktív terápia szempontjából. Az előadás a digitális protokollt egy komplex klinikai eseten keresztül mutatja be, ami egy teljes szájrehabilitáció.

15.30–17.30 Dr. Arthur Volker (Amerikai Egyesült Államok):

mátrixolási

Injection moulding és

stratégiák a direkt anterior kompozitokhoz

A mátrix célja, hogy alakformálóként működjön, és megkönnyítse a anyagok, például az amalgám vagy a kompozit gyanta elhelyezését. Számos lehetőség áll rendelkezésre az anyagválasztás és a terjedelem tekintetében. Ez a kurzus a különböző mátrixkészítési lehetőségeket tárgyalja az anterior területen alkalmazott kompozitrestaurációkhoz. Konkrétan a fém- és műanyag matricákról lesz szó, valamint a szekcionált és a „teljes kontúrú” anyagokat is megvitatjuk.

Célkitűzések:

1. Megismerkedés az esztétikát meghatározó tényezőkkel

2. A kompozit lehetőségek, valamint a mátrixválasztás meghatározó tényezőinek megvitatása a elülső fogazat

3. Rendszerezze a preparálási protokollokat, mint például az izolálás és a részecskeabrázió a szuvas és nem szuvas restaurációknál

4. A közvetlen kompozitinjektálás protokolljának megértése.

23
R

Esztétika Kongresszus

2023. október 13., péntek

09.35–09.45 Dr. Gombos Ádám, Dr. Volom András: Megnyitó

09.45–11.45 Dr. Giedre Kobs (Litvánia): Az ember egészének kezelése okklúzión keresztül

A fogászatban a legnagyobb kihívás az összetett esetek megközelítése. Hogyan kezeljük az ember egészét, nem csak az egyes fogakat az okklúzión keresztül? Fogorvosként befolyásolhatjuk-e a fogcsikorgató és fogösszeszorító erőket? Egy fogorvos számára nincs értékesebb, mint a súlyos TMD-páciensek kezelésében szerzett hosszú távú gyakorlat. A fájdalom mindennapos kezelése adja meg a választ. Megadja a kezelés helyes irányát. Ha ismeri a helyes irányt, mindig sikeresen kijuttathatja páciensét a fájdalomból. És igen – van egy protokoll. Ebben az előadásban megosztom Önnel 24 éves tapasztalatomat, amit több mint 18 000 beteg ellátása és kezelése során szereztem.

11.45–12.45 Prof. dr. Mutlu Özcan (Svájc): Fogászati anyagok a helyreállító fogászatban: szubtraktív vagy additív?

A technológiai fejlődés előrehaladásával és a szubtraktív és additív gyártási módszerek bevezetésével új anyagok kerülnek bevezetésre a fog-, implantátum- és nyálkahártya-alapú rekonstrukciókhoz, valamint a csontpótlókhoz. Miközben a bioanyagok területén bekövetkező fejlesztések a fogászat szinte minden szakterületére hatással vannak, a klinikusoknak el kell sajátítaniuk az anyagtípusok, alapvető fizikai és kémiai tulajdonságaik, valamint biokompatibilitásuk ismeretét. Ebben az előadásban áttekintést adunk a fogászatban használt új anyagok jelenlegi klinikai lehetőségeiről, korlátairól és jövőbeli kilátásairól, különös tekintettel a fémekre, polimerekre, hibridekre és kerámiákra.

12.45–14.15 Ebédszünet

14.15–16.00 Dr. Jordi Manauta (Olaszország): Szín és forma, a tökéletes anterior kompozitok titkai – a Layers 2 és a Style Italiano módszer

Gyakran úgy gondolják, hogy a rendkívül esztétikus fogpótlások elkészítéséhez kifinomult és összetett technikákra van szükség, amelyeket csak néhány kivételesen tehetséges személy képes elsajátítani. Én azonban azt mondom, hogy a tökéletes, nagy sikerarányú fogpótlások elérése valóban mindenki számára lehetséges. Megközelítésünk az egyszerűséget és a logikát hangsúlyozza a racionális színegyeztetés elvégzésében, biztosítva a kiválasztott szín pontos reprodukcióját és a hibákból való tanulást. Napjainkban a megfelelő anyagok kiválasztása, a megfelelő rétegezési technikák alkalmazása és a morfológia kezelése elengedhetetlen ahhoz, hogy pácienseink fogainak legapróbb árnyalatait is utánozzuk, miközben elkerüljük a felesleges kihívásokat, vagy ahogy én szeretem nevezni, a szenvedő fogorvoslást. A 27 év tapasztalatai során felhalmozott tippek és trükkök kincsesbányája áll rendelkezésemre, amelyet szívesen megosztok Önökkel.

16.00–17.30 Dr. Andrea Franzo (Olaszország): A RESTO-PROSTHETIC dilemma: hogyan változtatott meg mindent az adhézió?

Az adhezív esztétikai anyagok és technikák kulcsszerepet játszanak a modern fogászatban, elmozdítva a konzerváló és a protetikai fogászat közötti határokat. Manapság az esztétikát és a funkciót egyaránt helyreállíthatjuk a hátsó és elülső régióban, direkt vagy indirekt technikákkal, a megmaradt fogszerkezet megőrzésével és jelentős időmegtakarítással. Az előadás célja, hogy rámutasson a klinikai bizonyítékokon alapuló protokollok különböző aspektusaira, amelyekkel számos klinikai helyzetet kiszámítható módon lehet megoldani.

23

KAVOSZ SZÉCHÉNYI LÍZING MAX+

• 5 % fix kamatozás

• 2,5 % szerződéskötési díj

• Önerő 30 %

A-dec 500

Prémium kategóriás alsó/felső karos kezelőegység

5 É V GARANCIA

2003 ÓTA FOLYAMATOSAN ELNYERTE A LEGJOBB KEZELŐEGYSÉG FŐDÍJAT

Csak az a gyártó ad 5 év garanciát a termékére, aki biztos a gyártmánya minőségében

DELUXE vezérlés, 8+4 LED páciens lámpa, NSK NLZ LED-es mikromotor www.a-dec.com/virtual-tour www.dent-east.hu

Az A-dec kezelőegységek szervizeléséhez a vételár mindössze átlagosan 1,97%-át teszi ki az évente vásárolt alkatrész. Ebben az A-dec páratlan.

A-dec 230

Felsőkaros kezelőegység, DELUXE vezérlés, 8+4 LED vagy 4 LED páciens lámpa, NSK NLZ LED-es mikromotor

A-dec 200

Kompakt alsókaros kezelőegység

DELUXE vezérlés, 8+4 LED vagy 4 LED páciens lámpa, NSK NLZ LED-es mikromotor

A-dec/NSK elektromos, nyomaték szabályozott LED-es, ENDO funkciós mikromotor, rpm 100-40000
ÚJ MEGKÖZELÍTÉS! Dr. Faluhelyi Péter egynapos ergonomiai tréningje – ajándék a gép mellé
Keressen bennünket! Telefon: 06 20 943 8109 • 06 20 929 0701 • 06 20 922 8508 E-mail: mail@dent-east.com
„Amit ma megvehetsz, ne halaszd holnapra”
Ügyintézést biztosítunk

Esztétika Kongresszus

2023. október 14., szombat

09.50–10.00 Dr. Gombos Ádám, Dr. Volom András: Megnyitó

10.00–12.00 Dr. Marco Maiolino (Olaszország): A „repedt” fogak kódexének megfejtése

A repedések az egyik legnagyobb kihívást jelentő és legvitatottabb téma a fogászatban. A különböző vélemények és kezelések miatt ez a téma nem egyértelmű az átlagos klinikus számára. Az előadás során az előadó rávilágít a repedések mögött álló összes mechanikára, arra, hogy hogyan lehet elkerülni őket a való életben, valamint a sikeres kezelésükre vonatkozó stratégiákra.

12.00–12.30 Dr. Takács Ildikó:

Sokoldalú esztétikai arckezelési lehetőségek fogászati lézerrel

Napjaink versenyképes fogászati egészségügyi ágazatában széleskörűen elterjedt a lézeres kezelések alkalmazása. Továbbá lassan önálló tudományágként az esztétikai beavatkozások is teret nyernek a fogászatban is, ld.: mosolytervezés, makroesztétika, kozmetikai fogászat. Nemzetközileg is egyre nő az igény, mind a páciens, mind a kezelőorvos oldaláról, hogy egyszerre teljeskörű ellátást kapjon/kínáljon. A Fotona LightWalker® lézereket a maximális sokoldalúságra tervezték, így a kemény- és lágyszövetes fogászati kezelések széles választékán túl, számos népszerű arcesztétikai kezelést is lehetővé tesz, a hideg és nagyon felületes bőrfelújítástól, a szövettel való mély hőkölcsönhatásig az öregedésgátló és fiatalító hatások érdekében.

12.30–14.00 Ebédszünet

14.00–15.15 Dr. Salem Jusic (Bosznia-Hercegovina): Az anterior fogak különösen esztétikus kompozitrestaurációi

Előadás témái:

- A mosoly architektúrája (az elülső fogak morfológiája)

- Előkészítés (tippek a láthatatlan restaurációkhoz)

- Eszközök és mátrixok

- Hogyan válasszuk ki a megfelelő kompozitot?

- Kompozitrétegezés (mono, duo, polyshade)

- Befejezés és polírozás (tippek és trükkök a magasfényűséghez)

15.15–16.30 Dr. Maciej Czerwiński (Lengyelország): Mérföldkövek a restauratív kezelésben

Ezen az előadáson az izolációs stratégiákat ismerheti meg:

- A rubber dam és a teflonszalag szerepe a hatékony izolálásban

- Előkészítési stratégiák és felkészülés az izolációra

- Shape Factor és a gingivectomia

- Mátrix kiválasztási rendszer és a TeflonFloss technika.

23

Empowering Predictability and Performance in Immediacy

KIZÁRÓLAGOS MAGYARORSZÁGI FORGALMAZÓ alphaimplant.hu powered by TM Launch!

Workshop program

Bioarchitektúra –technika a molárisokhoz

2023. október 12., csütörtök

Tippek & trükkök – egy módszer, mellyel gyorsan és esztétikafunkció helyesen tudunk molárisokat restaurálni

A cél, hogy megértsük és elsajátítsuk e módszer protokollját lépésről lépésre

1. ELMÉLET FOGORVOSOK ÉS FOGTECHNIKUSOK részére

- Szín elmélet – mit nézzünk és hogy reprodukáljuk

- A molárisok morfológiai elemei – a dentinmag formája

- Anyag- és technikaválasztás az eset függvényében

- A felszíni textúra fontossága

- A kor és a fog funkciójának jelentősége

- A polírozás, finírozás jelentősége a hosszú távú sikeresség érdekében.

2. GYAKORLATI RÉSZ (FOGORVOSOK & FOGTECHNIKUSOK)

A 16-os és 24-es fog felépítése lépésről lépésre – két módon

Nagyon fontos, hogy a feladat megoldásához a megfelelő anyagot és a hozzáillő megismételhető technikát alkalmazzuk a hosszú távú, előre megjósolható eredmény érdekében. Az optikai effektusokat figyelembe véve főleg a belső és külső morfológia szabályait követve érhetjük el a kivánt esztétikát és a funkcionális egyensúlyt. A restaurációhoz használt anyag ismerete és a felépítendő fog minden egyes elemének kódolása teszi lehetővé az ideális eredmény gyors elérését.

Cél: a felépítendő természetes fog morfológiai analízise biomechanikai és dentalis harmóniai szempontból.

Olyan rétegzési technika elsajátítása, amely a belső elemek helyes elhelyezésén keresztül vezet gyors felépítéshez.

Egyszerűsített rétegzés

– Biodinamikai analízis – Funkcióanalízis

– Biokonstrukció a belső elemek felépítésén keresztül – „kúp technika” kompozittal

– Két moláris fog, 16-os és 24-es felépítése – a belső elemek orientációja – A belső elemek rétegzése

– Biomechanikai szabályok a dentinmag orientációja tekintetében

– A sulcus kialakítása

– A kompozitfelszín kezelése – polírozási protokoll

Részvételi díj: 80 000 Ft (elővételben)

Jelentkezés: dentalworld.hu

23
Danielle Rondoni

ENAMEL PLUS HRi BIO FUNCTION

ÚJ BIOKOMPATIBILIS KOMPOZIT

DOESNOT CONTAINBISPH

> Nagyfokú biokpmpatibilitás: nem tartalmaz

Bis-GMA-t és szabad nanopartikulát

> A természetes zománccal megegyező abrázió

> Mechanikai és funkcionális jellemzői megegyeznek az arannyal

> Könnyű kezelhetőség és ideális polírozhatóság

> Egyaránt alkalmas direkt és indirekt felhasználásra

> Röntgenárnyékot ad

> Fluoridot tartalmaz

®

bpafree
E N LOA BISGMA FREE
Cím: 1123 Budapest, Alkotás u. 15. 4. em. 4. • Tel: (06-1) 201-7103 Mobil: (+36-30) 957-0500 • E-mail: csk@densalba.hu
Clinical case by Dr. Lorenzo Vanini
dens.Alba NOVA
Esztétikus megoldás bármilyen restaurációhoz!

Páciensélmény-tervezés a fogászati praxisban

2023. október 13., péntek 9.00-12.30

Tudta, hogy a páciens már akkor élményeket gyűjt a fogászati praxisról, amikor még az orvos nem is tud a létezéséről? A bejelentkezés előtt keres, mérlegel és dönt az adott fogászat mellett. Hogyan tudjuk ezt úgy befolyásolni, hogy minket válasszon? Az egészségügyi marketing legfontosabb módszertana a páciensélmény-tervezés lett, mert az értékteremtés és élménynyújtás az, amely megkülönbözteti az egyik fogászati praxist a másiktól. Közösen végigmegyünk a páciensút-készítés és páciensélmény-tervezés minden apró lépésén.

Részvételi díj: 49 900 Ft+áfa

Jelentkezés: www.flexi-dent.hu/trening

Hogyan tudjuk meggyőzni pácienseinket a komplett rehabilitációról a minimál beavatkozás helyett?

2023. október 13., péntek 9.00-12.30 Különösen ajánlott pályakezdő orvosok számára

Részvételi díj: 49 900 Ft+áfa

Jelentkezés: www.flexi-dent.hu/trening

Hogyan toborozzunk új munkatársakat és tartsuk meg őket?

2023. október 13., péntek 13.00-16.30

Előadó: Kluka Attila

Orvos- és asszisztenstoborzás. Az értékes munkaerő, avagy a dolgozók megtartásának módszerei és eszközei. Hogyan segíthet mindebben a mesterséges intelligencia?

Részvételi díj: 49 900 Ft+áfa

Jelentkezés: www.flexi-dent.hu/trening

Recepciósképzés 3.0 – avagy régi eszközökkel nem nézhetünk

szembe az új kihívásokkal

2023. október 14., szombat 09.00-16.00

Előadó: Kluka Attila

Nemzetközi trendek és mesterséges intelligencia a recepción a páciensek magasabb szintű kiszolgálásának érdekében. Orvos- és asszisztenstoborzás. Az értékes munkaerő, avagy a dolgozók megtartásának módszerei és eszközei. Hogyan segíthet mindebben a mesterséges intelligencia?

Részvételi díj: 74 900 Ft+áfa

Jelentkezés: www.flexi-dent.hu/trening

Mennyit fizessek az asszisztensnek, mi marad nekem? – bizalmi workshop iparági átlagokról rendelőtulajdonosoknak!

2023. október 13., péntek 13.00-16.30

Hogy állok a többiekhez képest? Ti mennyit fizettek az asszisztenseknek? És az orvosoknak? A workshopon egy alapvető bevételszerkezet és költségszerkezet áttekintést követően megbeszéljük, hogy a résztvevők közül ki milyen mértékben tér el az iparági átlagoktól. Megtudhatod, mások hogy csinálják, kinek milyen arányokat képviselnek a különböző kiadások és ki hogyan tudja maximalizálni a bevételeit. Egy egyedi, korábban még nem létező kiscsoportos workshop, ahol az interaktív prezentációs technikának köszönhetően úgy osztjuk meg egymással a tudást, hogy mindeközben senki sem adja ki a titkait.

Részvételi díj: 49 900 Ft+áfa

Jelentkezés: www.flexi-dent.hu/trening

23
Workshop programok
Horváth Krisztina Máté Zoltán Kluka Attila

Workshop programok

2023 leghatékonyabb fogászati marketingeszközei és kampányai

2023. október 14., szombat 09.00-12.30

A fogászati páciensúton végighaladva, annak megfelelően éppen melyik fázisban tart a potenciális páciens, sorba vesszük az összes lehetséges működő, eredményt hozó marketingeszközt. Minden egyes páciensút szakaszhoz hozok konkrét megoldási javaslatot, kampánytervet. Ezek eredményességét konkrét eseteken keresztül bemutatom, elemzem és közösen kiértékeljük. A workshopot követően már csak a megvalósítás vár a praxis vezetőjére, de ha szeretné, ebben is tudunk segíteni. Jelentkezzen a workshopra és küldje el előre kérdéseit, akár anonim módon: horvath.krisztina@positive.hu Garantáltan válaszolok minden beérkező kérdésre!

Részvételi díj: 49 900 Ft+áfa

Jelentkezés: www.flexi-dent.hu/trening

Az egészséges árak kialakítása

2023. október 14., szombat 13.00-16.30

Kapott excelek és kalkulátorok segítségével, az iránymutatásaink alapján, ott helyben ki tudod alakítani a megfelelő árazási stratégiádat. 100% gyakorlat és egy hatalmas mankó a kezedben! Te mi alapján határozod meg az áraidat? Szétnézel, hogy a környéken melyik rendelő milyen árszabással dolgozik? Vagy érzésre emelsz ezen a szolgáltatáson egy picit, a másikon többet? Az árazás kérdése sokkal komplexebb ennél, főleg a jelenlegi gazdasági helyzetben. Az anyagok ára hirtelen megnőtt, a munkatársak egyre magasabb bért szeretnének és arra döbbensz rá, hogy „egyre kevésbé jön ki a matek” és mindenki jól jár a rendelőd szolgáltatásaival, csak pont Te nem. Ennek vetünk véget és vezetünk végig az úton, hogy miként hozz megalapozott, tudatos döntést, és alakítsd ki úgy az áraidat, hogy az Neked is megérje. A képzés során a metodikához és áraid folyamatos felülvizsgálatához a szoftveres segítséget is bemutatjuk.

Részvételi díj: 49 900 Ft+áfa

Jelentkezés: www.flexi-dent.hu/trening

Modern endodonciai kezelések a gyakorlatban: a gépi tágítástól a guttapercha-pisztolyokig 2023. október 14., szombat

Bevezetés

Az endodonciai eszközök fejlődése nagyon intenzív, sokszor követni sem tudjuk mi az újdonság. Megveszünk egy endomotort, csilli-villi funkciókkal, aztán mégis csak úgy használjuk, mint az előzőt (rosszabb esetben helytelenül is). A fiók mélyére süppedhet egy ultrahangos aktivátor, heatplugger vagy guttapercha-pisztoly is, pedig a megfelelő knowhow birtokában biztonságosabbá, gyorsabbá, kiszámíthatóbbá teszik a munkánkat. Ezen a tanfolyamon nem csak beszélünk ezekről a technológiákról, hanem lehetőséget adunk arra, hogy résztvevőink kipróbálják magukat a gyakorlatban is!

Mi fog történni a tanfolyamon?

A képzés során a résztvevők megismerkednek a különböző anatómiájú fogak ellátásának tervezésével és kezelési stratégiáival. Megvitatásra kerülnek a gyökérkezelések buktatói is. Bemutatásra kerülnek a modern endodonciai kezelések eszközei: modern gépi tűk, új generációs endomotorok, ultrahangos aktivátorok, heatpluggerek és guttapercha-pisztolyok, valamint a diagnosztikai eszközök: CBCT a tervezéshez, kézi röntgen a gyors tűskontrollhoz. A gyakorlati szegmensben modellen próbálhatják ki a résztvevők a helyes tágítás, tisztítás és gyökértömés gyakorlatát, melyhez használni fogják a megismertetett eszközöket.

A tanfolyamon elsajátítható ismeretek

• Endodonciai kezelési stratégiák

• A különböző endo file-ok használata, anyaga és indikációi

• Az endomotorok funkcióinak megismerése: reciprokálás, ATC, apexlokátor és az apikális referenciapont funkció használata a még biztonságosabb tágításért

• Kémiai tágítás, avagy az átöblítési protokoll rejtelmei

• Ultrahang az endodonciában: aktivátorok működése és haszna, a leggyakoribb hibák elkerülése

• Gyökércsatornák lezárásának technikái

• Az intelligens heatpluggerek használata

• Gyors befejezés guttapercha-pisztolyokkal

Részvételi díj: 45 000 Ft • Kredit: Utóakkreditáció alatt • Jelentkezés: volomshop.com

23
Horváth Krisztina Máté Zoltán Dr. Mekis Miklós
ARANY MUNKÁIT RENDELJE MEG A SCHULZE LABORTÓL! Több mint 100 éves tapasztalat! INLAY, ONLAY ARANY KERÁMIA ARANY LEMEZ ARANY KOMBINÁLT MUNKA LEMEZ ARANYOZÁS GALVÁN MUNKÁK KESZÍTÉSE ELÉRHETŐSÉG: +36 20 366 10 80 schulzefogtechnika@gmail.com labor@dentartttechnik.hu www.dentarttechnik.hu +36 30 682 3827 Virtuális tervezés Ti és CoCr 3D nyomtatása Egyéni implantátumok Egyedi titán zsaluhálók Csontpótlás Csontpótlás eszközei Implantológiai fúrósablonok Műtéti segédeszközök 9024 Győr, Csokonai u. 10. Impl lantológiában és csontpótlásban az első!

Workshop programok 23

Bioclear Modern Anterior Kompozit Technikák dr. Arthur Volkerrel

2023. október 13., péntek

Injection molding a szép, egyszerű és megbízható diasztéma-zárásokhoz és Class II tömésekhez. A Bioclear világelső matricáinak bevezetése alkalmából különleges hands-on tréninggel készülünk a Dental World-ön: Dr. Volker segítségével a résztvevők elsajátíthatják a modern „fröccsöntéses” töméstechnika alapjait és megtanulhatják, hogyan válasszanak helyesen Bioclear matricákat. Kuriózum, és először Magyarországon!

Miért érdemes részt venni a tanfolyamon?

Tömérdek tömőanyag és matrica van ma a piacon – nehéz a rengetegükben kiigazodni. Ezen a képzésen a résztvevők elsajátíthatják a forradalmian új megközelítést hozó Bioclear Method „fröccsöntéses” töméstechnikáját, mellyel egyszerűen és kiszámíthatóan kezelhetnek olyan gyakran előforduló (mégis sokszor problémát okozó) klinikai eseteket, mint a diasztéma-zárás, valamint a Class II tömések. Szerkesztői megjegyzés: Dr. Volker nagy visszatérőnk, kiváló esztétikai fogorvos – a Dental Worldre először a 2000-es évek közepén, még Cosmedent előadóként hívtuk meg

A tanfolyamon elsajátítható ismeretek

• A különböző kompozitok hasznosságának megállapítása, a helyes matricaválasztás alapvetései

• Rendszerszerű előkészítési protokollok (izoláció, speciális homokfúvás) szuvas és nem szuvas restaurációk esetében

• A különböző direkt kompozit tömési technikák összehasonlítása

• A Bioclear rendszer és használata (injection molding)

• Helyes polírozási technika

Részvételi díj: 150 000 Ft • Kredit: Utóakkreditáció alatt • Jelentkezés: volomshop.com

Espresso Anterior

2023. október 14., szombat 10.00–12.00

Az egyszerűség a végső kifinomultság. Annak érdekében, hogy eredményként tökéletes anterior kompozitot kapjunk, a héjpreparációnál több száz tippre és trükkre bukkantunk, hogy a mindennapi feladatokat egyszerűen, a legjobb minőség feladása nélkül oldjuk meg. Ezen a kurzuson áttekintjük a modellezés lépéseit, mint az időmegtakarítás és a kompozitanyag minőségének javítási módjait, és beleássuk magunkat a forma és a szín elemeibe, ami a tökéletes restauráció egyik leghatásosabb eszköze.

Ennek a tanfolyamnak az a fő célja, hogy a gyakorló fogorvos hasznos technikákat tanuljon, amelyeket a tanfolyam után azonnal alkalmazhat a mindennapi fogászatban, hogy növelje munkája minőségét, különösen a funkció és az esztétika tekintetében, de mindig egyszerű módon.

- Legyen rendkívül hatékony a színegyeztetésben

- Sajátítsa el a kompozitgyanták rétegzését

- Gyors és szép restaurációk modellezése

- Morfológia

- Ismerje meg, hogy maximalizálhatja az adhezív fogászat élettartamát

Részvételi díj: 55 000 Ft

Jelentkezés: dentalworld.hu

Dr. Arthur Volker Dr. Jordi Manauta

Teljes szájrehabilitáció 72 óraalatt

▶ Egyfázisútechnika

▶ Azonnaliterhelésesprotokoll

▶ Egyedülállóprimerstabilitás

▶ Azegyetlentökéletesimplantátum-felépítmény „kapcsolat”–nincsmikromozgás

▶ Polírozottfelszín–nincstöbbéperiimplantitis

▶ Csontpótlásmentes,apáciensszámáraisigazán egyszerű,gyors, költséghatékonyimplantológia*

*Aköltséghatékonyság aztfejeziki,hogyazonoshatásosság(eredményesség)milyenköltséggel(ráfordítással) érhetőel.Aleginkábbköltséghatékonyazazeljárás,technológia,amelyikalegkisebbráfordítássalalegnagyobb eredménytériel.Azaz egészségügyitechnológia tekinthetőköltséghatékonynak,amelyazakárszűkösenrendelkezésreállóerőforrásokbólalehetőlegtöbb egészség-nyereséget termeli,illetveaztalegkisebberőforrás felhasználássalállítjaaztelő. (Azegészségügyifogalomtáralapján.)

sofortimplant sofortimplant sofortimplant ihdedental SofortimplantKft. | H–9400Sopron,Deákkútiút16. | +36703640600 info@sofortimplant.com | sofortimplant.com
Nobel Biocare N1™ nobelbiocare.com/n1 GMT70838 HU © Nobel Biocare Services AG, 2020. Minden jog fenntartva. A Nobel Biocare, a Nobel Biocare logó és az összes egyéb márkanév a Nobel Biocare tulajdonát képezi, ha a márkanév tulajdonosa nincs feltüntetve, vagy a szövegkörnyezetből nem derül ki. További tudnivalókért keresse fel a www.nobelbiocare.com/trademarks oldalt. A termékképek nem feltétlenül méretarányosak. Jogi nyilatkozat: Előfordulhat, hogy egyes termékek nem minden piacon rendelkeznek forgalomba hozatali engedéllyel. Az aktuális termékválasztékunkkal és elérhetőségekkel kapcsolatban forduljon a Nobel Biocare helyi értékesítési irodájához. Kizárólag orvosi rendelvényre kapható eszköz. A termék felírásához szükséges információkat, így a javallatokat, ellenjavallatokat, figyelmeztetéseket és óvintézkedéseket a termék használati útmutatójában találja. Megreformáljuk AZ IMPLANTOLÓGIÁT

Turn static files into dynamic content formats.

Create a flipbook
Issuu converts static files into: digital portfolios, online yearbooks, online catalogs, digital photo albums and more. Sign up and create your flipbook.