Dental World 2023/2 - e-journal

Page 1

XXIII. Dental World Nemzetközi Fogászati Kiállítás & Konferencia 2023. október 12–13–14. Budapest, Hungexpo ENDODONTIA KONGRESSZUS dentalworld.hu e-Journal 23
YOUR WORLDWIDE NO.1 REFERENCE UNIQUE BIOFUNCTIONALITY OUTSTANDING QUALITY 1,2 > Strictly controlled raw material selection > Cutting-edge production > Quality management of the final product References ISO 13485 certificate, research and development 2 ISO 9001 certificate, multi site quality management www.geistlich-pharma.com/en/about-us/geistlich/ about-geistlich/quality/ FROM
THE
PRODUCT KNOWLEDGE IS IN OUR HANDS alphaimplant.hu More details about our products: www.geistlich-biomaterials.com
A TO Z:
WHOLE

Tisztelt Olvasó!

Amikor e magazint a kezébe veszi – és reményeink szerint majd át is tanulmányozza az oldalait –, már alig másfél hónap van hátra a 23. Dental World megnyitásáig. Az őszi hónapok szinte mindenki számára sok feladattal járó időszakot jelentenek, jó előre megtervezni ezeket, illetve a legfontosabb teendőinket. Célunk idén is olyan rendezvénnyel várni Önt/ Önöket, olyan érdekes és tartalmas eseményekkel, hogy már az év első felében bejegyzésre kerüljön a naptárjaikba: 2023. október 12–13–14., azaz Dental World!

A nyár folyamán megjelent Dental World Programfüzetünkben már részletesen ismertettük a rendezvény három napjának eseményeit, előadásait, és bemutattuk a hozzánk érkező előadókat, röviden ismertetve életútjuk fontosabb állomásait, kutatásaikat, bepillantva gyógyító munkájuk eredményeibe is.

A „Dental World e-Journal 2023” kiadványunk összeállításával az a célunk, hogy még részletesebb, még körültekintőbb és pontosabb tájékoztatást adjunk a konferenciáink előadóiról, illetve az általuk készített és most közölt szakmai cikkeik elolvasása mindenkinek segítsen abban is, hogy eldönthesse, melyik napon melyik téma lesz számára a legérdekesebb és a leghasznosabb.

A három nap során több mint 20 országból érkező és hazai előadó közel 100 előadással várja majd Önt/Önöket, ahol hallhatnak pl. az implantológiai kutatások legfrissebb eredményeiről, a konzerváló fogászat, az orthodontia, az esztétika, az endodontia, a dentoalveoláris sebészet, a prevenció és a fogtechnika időszerű kérdéseiről, a legkorszerűbb módszerek alkalmazásának újdonságairól. Bízunk abban, hogy a kongresszusokon elhangzó előadások upgrade ismeretekhez és felhasználható tudáshoz juttatják majd Önt/Önöket, továbbá a kiállításon a szakma idei nóvumaival, a legújabb fejlesztésekkel és eszközeivel is megismerkedhetnek, esetleg ki is próbálhatják azokat! A kiállítótérben az eddigieknél még változatosabb, színesebb bemutatókkal, versenyekkel és élő műtétekkel is várjuk Önöket.

A szervezők nagyon örülnének, ha minél többen részesei lennének e rendezvénynek, ezért most kedvezményes jegy vásárlására is ösztönözzük a csatlakozni vágyókat.

„Három nap a fogászat szolgálatában” – a 23 évvel ezelőtt megfogalmazott mottónkat felidézve a szervezők és a rendezők nevében arra készülünk és reméljük, hogy a 2023-as Dental World is a fogászat emlékezetes és sikeres „nagy találkozója” lesz!

Legyen Ön is részese a fogászati világ budapesti „seregszemléjének”,  várjuk szeretettel!

23
LACZKÓ TAMÁS főszervező

Általános információk

Kiállítás helyszíne

Hungexpo Vásárközpont, 1101 Budapest, Albertirsai út 10. „A” pavilon

Kiállítás nyitvatartása

2023. október 12–13., csütörtök, péntek: 08.30–18.00 2023. október 14., szombat: 08.30–17.00

A háromnapos rendezvény alatt közel 250 szakkiállító várja az érdeklődőket, a kiállítás megtekintése díjmentes, de regisztrációköteles.

Kongresszusi regisztráció

2023. október 12–13–14. reggel 8 órától

A regisztráció a szakmai programokra kötelező. A regisztráció a Hungexpo „A" pavilon bejáratánál található. Regisztrációs kártyáját be- és kilépéskor kérjük, egyaránt érvényesítse! (Kérjük, a tanfolyamokra történt befizetést igazoló csekkszelvényét, banki átutalási bizonylatát mindenképp hozza magával!)

Kreditpont

*A három napos kongresszusok programjainak összpontértéke: 24, napi pontérték: 8

A tanfolyamok a szakma szerinti kategóriába tartoznak (szakképesítések, amelyekhez szakma szerinti pontszámként elszámolható: 1. arc-állcsont-szájsebészet, 2. dento-alveoláris sebészet, 3. fogszabályozás [fogorvos], 4. konzerváló fogászat és fogpótlástan), vizsga nincs, a kreditpontigazolást a rendezvényt követően küldjük el. A szakmai programokban a változtatás jogát fenntartjuk.

Workshop

A tudományos programok mellett megrendezésre kerülő workshopok és gyakorlati kurzusok termei az „A" pavilon galériáján találhatók, melyeket a helyszínen irányítótáblákkal jelölünk.

Megközelítés, parkolás

A parkolás a konferencia résztvevői és a látogatók számára ingyenes, behajtás gépjárművel a 4-es kapunál lehetséges. A környező utcákban díjmentes parkolási övezet található.

A rendezvény megközelíthető tömegközlekedéssel is:

Az Örs vezér tere metrómegálló és a Hungexpo vásárváros között a rendezvény napjain is közlekedik a 10-es autóbusz. Az M2-es metró Pillangó utcai állomásától a Hungexpo vásárváros főbejárata körülbelül 15 perces sétával elérhető. A Blaha Lujza téri metrómegálló közeléből, a Népszínház utcai végállomásról induló 37-es, illetve 37A villamosok Kőbánya felső vasútállomás megállóhelyétől a Hungexpo vásárváros III. kapuja – a vasútállomás alatti aluljárón át – 6-7 perces sétával elérhető.

Impresszum

Szervező és kiadó: Event Organizer Hungary Kft. 1012 Budapest, Kuny Domokos u. 9. tel.: 06-30-472-0030, info@dentalworld.hu www.dentalworld.hu

Felelős kiadó: Laczkó Tamás

Szerkesztés: Event Organizer Hungary Kft. –Sárközi András

LATE BIRD kedvezmény Augusztus 31-ig!
*

Dental World Kongresszusok

3 napos konferenciák: ESZTÉTIKA •

ORTHODONTIA • IMPLANTOLÓGIA

KONGRESSZUSI JEGYÁRAK

1 VÁLASZTOTT KONGRESSZUS: esztétika / implantológia / endodontia / orthodontia

ALL ACCESS mind a 4 témakörű kongresszusra belépést biztosít

Digitális Fogászat Kongresszus: 30 000 Ft (teljes ár: 50 000 Ft)

Prevenciós, Földvári Imre Kongresszus: 20 000 Ft (teljes ár: 28 000 Ft)

Praxismenedzsment Kongresszus: 34 990 Ft (teljes ár: 49 900 Ft)

Jelentkezzen most! DENTALWORLD.HU

Nemzetközi Fogászati

Szakkiállítás és Konferencia 2023. október 12–13–14.

ENDODONTIA
KEDVEZMÉNYES ÁRAK HATÁRIDEJE LATE BIRD 2023. 08. 31-ig 80 000 Ft 120 000 Ft LAST MINUTE 2023. 09. 30-ig 90 000 Ft 135 000 Ft TELJES ÁR 2023. 10. 01-től 100 000 Ft 150 000 Ft
Dental World
23

Dental World

Nemzetközi Fogászati Szakkiállítás és Konferencia 2023. október 12–13–14.

Helyszín:

Hungexpo Budapest Vásárközpont, 1101 Budapest, Albertirsai út 10. „A” pavilon

„A” PAVILON – KONFERENCIATERMEK – KIÁLLÍTÓTÉR

Programfelelős: Dr. Benyőcs Gergely

Programfelelősök: Dr. Volom András Dr. Gombos Ádám

Programfelelősök: Dr. Németh Zsolt Dr. Sidó Levente

Programfelelős: Dr. Borbély Péter

Programfelelős: Dr. Borbély Péter Programfelelős: Dr. Borbély Péter

23
Konferenciaterem 1. Konferenciaterem 2. Konferenciaterem 3. Konferenciaterem 4. Csütörtök, október 12. 09.50–18.00 Endodoncia Kongresszus 1 09.30–17.30 Esztétikai Kongresszus 1 09.30–17.30 Implantológiai Kongresszus 1 09.50–17.00 Orthodontia Kongresszus 1 Péntek, október 13. 09.50–17.30 Endodoncia Kongresszus 2 09.30–17.00 Esztétikai Kongresszus 2 09.30–17.00 Implantológiai Kongresszus 2 09.50–17.00 Orthodontia Kongresszus 2 Szombat, október 14. 09.50–17.00 Endodoncia Kongresszus 3 09.50–16.30 Esztétikai Kongresszus 3 09.50–16.30 Implantológiai Kongresszus 3 09.50–16.30 Orthodontia Kongresszus 3 Programfelelősök: Dr. Volom András Dr. Gombos Ádám Programfelelős: Dr. Benyőcs Gergely Programfelelősök: Dr. Volom András Dr. Gombos Ádám Programfelelős: Dr. Benyőcs Gergely

Dental World

Nemzetközi Fogászati Szakkiállítás és Konferencia 2023. október 12–13–14.

Helyszín: Hungexpo Budapest Vásárközpont, 1102 Budapest, Albertirsai út 10. „A” pavilon

KONFERENCIA- ÉS WORKSHOP TERMEK – GALÉRIA

Programfelelősök:

Pósáné Szűcs Erika

Róth Lajos

Programfelelős: Friss Tamás

Programfelelős: Dental World

09.00–12.30

Hogyan tudjuk meggyőzni pácienseinket a komplett rehabilitációról a minimál beavatkozás helyett?

17 kreditpont

Programfelelősök:

Hanser Zsolt

Kónya János

Róth Lajos

09.50–17.00

Programfelelős: Dr. Radánovics-Nagy

Dániel

Programfelelős: Volom Dental

10.00–12.00 Espresso Anterior

15 kreditpont

Programfelelős: Dental World

09.30–13.00

Modern endodonciai kezelések a gyakorlatban

Programfelelős: Flexi-Dent

13.00–16.30

Mennyit fizessek az asszisztensnek, mi marad nekem?

Programfelelős: Flexi-Dent

09.00–16.00

Recepciósképzés

3.0 -

avagy régi eszközökkel nem nézhetünk szembe az új kihívásokkal

09.00–12.30

Páciensélménytervezés a fogászati praxisban

Programfelelős: Flexi-Dent

13.00–16.30

Hogyan toborozzunk új munkatársakat és tartsuk meg őket?

Programfelelős: Flexi-Dent

09.00–12.30

2023 leghatékonyabb fogászati marketing eszközei és kampányai

Programfelelős: Flexi-Dent

13.00–16.30

Az egészséges árak kialakítása

Programfelelős: Dr. Nagy Zsolt

8 kreditpont

Programfelelős: Dr. Radánovics-Nagy

Dániel

Programfelelős: Volom Dental

Programfelelős: Flexi-Dent

Programfelelős: Flexi-Dent

Konferenciaterem 5. Konferenciaterem 6. Workshop terem 1. Workshop terem 2. Workshop terem 3. Csütörtök, október 12. 10.00–17.00 Fogorvos- és fogtechnikushallgatói Kongresszus 09.20–17.30 Praxismenedzsment Kongresszus
Talent
Bioarchitektúra
a molárisokhoz Péntek, október 13. 10.00–17.00 Földvári Imre Fogtechnikai Kongresszus 09.30–17.30 Prevenciós Kongresszus 1 10.00–17.00 Bioclear Modern Anterior Kompozit Technikák dr. Arthur Volkerrel
09.30–17.00 Dental
14.00–17.30
–technika
Szombat, október 14.
Digitális Fogászati Kongr.
10.00–16.45 Prevenciós Kongresszus 2
23
a képzés napja választható

Open Dental Academy

Live Dental Show

2023-ban is a Dental World egyik kiemelkedő rendezvénye lesz az Implantológia Show az „Élő műtétek” bemutatásával. Jövőre is az üvegfalú „látványműtőben” felkért orvosok végzik majd egy-egy páciens nyilvános kezelését. A rutinszerűen alkalmazott műtéti technikák mellett új eljárásokat is bemutatnak az implantológia repertoárjából.

Fogorvos/fogtechnikus tanulóverseny

Az orvosi verseny résztvevői az ország négy, fogorvosi képzést nyújtó egyeteméről érkeznek, ahol belső versenyeken választják ki azt az egyetemenként 3-3 indulót, akik a Dental World-ön mérik össze tudásukat. Minden versenyző ötödéves egyetemi hallgató, és nyereményük többek közt egy út Leuven-be, a GC központjába. A fogtechnikus-tanulók részére 2023-ban már 12. alkalommal megrendezésre kerülő Győztesek Versenyére a Protetika Verseny győztese, az Országos Mintázó Verseny legjobbjai és az Ipartestület által rendezett Kerámiás Verseny helyezettjei kapnak személyes meghívást. A 12 magyar tanuló számára az idei évben is nagy kihívás a szakma egésze előtt a Dental World szakkiállításon bemutatni képességeiket, szakmai elhivatottságukat.

Demo Stage

2023-ban ismét a kiállítótér sugárútján kap helyet a Live Demo.

4 különböző programot szervezünk az alábbi témakörökben:

• Endodontia & Esztétika

• MicroWorld & Lézer

• Fogtechnika

• Oralszkenner

AlphaBio Buborék bár

Flexi kávézó

Dental Lounge

Várjuk szeretettel 2023-ban is!

Az Open Dental Academy programja minden látogató számára díjmentesen megtekinthető.

KAVOSZ SZÉCHÉNYI LÍZING MAX+

• 5 % fix kamatozás

• 2,5 % szerződéskötési díj

• Önerő 30 %

A-dec 500

Prémium kategóriás alsó/felső karos kezelőegység

5 É V GARANCIA

2003 ÓTA FOLYAMATOSAN ELNYERTE A LEGJOBB KEZELŐEGYSÉG FŐDÍJAT

Csak az a gyártó ad 5 év garanciát a termékére, aki biztos a gyártmánya minőségében

DELUXE vezérlés, 8+4 LED páciens lámpa, NSK NLZ LED-es mikromotor www.a-dec.com/virtual-tour www.dent-east.hu

Az A-dec kezelőegységek szervizeléséhez a vételár mindössze átlagosan 1,97%-át teszi ki az évente vásárolt alkatrész. Ebben az A-dec páratlan.

A-dec 230

Felsőkaros kezelőegység, DELUXE vezérlés, 8+4 LED vagy 4 LED páciens lámpa, NSK NLZ LED-es mikromotor

A-dec 200

Kompakt alsókaros kezelőegység

DELUXE vezérlés, 8+4 LED vagy 4 LED páciens lámpa, NSK NLZ LED-es mikromotor

A-dec/NSK elektromos, nyomaték szabályozott LED-es, ENDO funkciós mikromotor, rpm 100-40000
ÚJ MEGKÖZELÍTÉS! Dr. Faluhelyi Péter egynapos ergonomiai tréningje – ajándék a gép mellé
Keressen bennünket! Telefon: 06 20 943 8109 • 06 20 929 0701 • 06 20 922 8508 E-mail: mail@dent-east.com
„Amit ma megvehetsz, ne halaszd holnapra”
Ügyintézést biztosítunk

A Dental World tudományos

Dr. Volom András Dr. Gombos Ádám Dr. Benyőcs Gergely Dr. Németh Zsolt Dr. Sidó Levente Dr. Nagy Zsolt Friss Tamás Dr. Borbély Péter Dr. Radánovics-Nagy Dániel
kongresszusainak programfelelősei Esztétika Kongresszus Endodontia Kongresszus Implantológia Kongresszus Orthodontia Kongresszus
Fogászati Kongresszus Praxismenedzsment Kongresszus Prevenciós Kongresszus
Digitális

A 10 éves Alpha Implant Kft. a hagyományos munkafolyamatok mellett a digitális workflow minden lépésére megoldást kínál. A digitális technika fejlődése a fogászati piacon is egyre nagyobb teret hódít. Ebben nyújt

segítséget a 6 lépésből álló Alpha Digital Workflow, amely az intraorál scanneléstől a kész fogmű behelyezéséig terjed. Ne zárja magát keretek közé, lépjen az Alpha Implant Kft.-vel a Digitális Szabadság Világába!

ÜDVÖZÖLJÜK
IMPLANTÁTUM IRÁNYÍTOTT SEBÉSZET
A DIGITÁLIS SZABADSÁG VILÁGÁBAN!
INTRAORAL SCANNER
PROTETIKAI FELÉPÍTMÉNYEK +36 1 353 9090 | info@alphaimplant.hu | www.alphaimplant.hu
CIRKON TÖMB
3D NYOMTATÓ REGIONÁLIS KÉPVISELŐ:
szponzor
szponzorok
szponzorok
szponzorok Hialuronsav Az egészséges fogíny receptje Az egészséges fogíny receptje Az egész csalàd számára
Platina
Arany+
Arany
Ezüst

Gálaest

2023. október 13., péntek 19.30–01.00

Program:

19:30 kapunyitás, asztalfoglalás, welcome koktél

20:00 köszöntő, büféasztalos vacsora ínyencségekkel

20:30 revüműsor

21:30 élő koncert

23:30 funkypop & dance

Helyszín: Orfeum, a Pesti Mulató, 1073 Budapest, Erzsébet körút 43-49.

Jegyek korlátozott számban igényelhetőek! További információ: info@dentalworld.hu, www.dentalworld.hu

“A világ első biológiai tömőanyaga”

Gyermekfogászat Gyökérkezelés Restauráció

A Biodentin tömőanyag használata élő fog kezelésekor jobbá, könnyebbé és gyorsabbá teszi a folyamatot.

• Bizonyított biokompatibilitás és bioaktivitás a pulpa gyógyulása

érdekében

• Az erős záróhatás csökkenti a kockázatot

• Egyetlen tömőanyag az idegtől a fogtetőig

• A hagyományos dentinhez hasonló mechanikai viselkedés

gyógytöméshez ideális

A befejező fogzománc-restauráció 6 hónapon belül végezhető el.

Természetesen innovatív

További információért látogasson el honlapunkra: www.septodont.com

Biodentine™

Endodontia Kongresszus

Az eljárás egyszerű és kényelmes, amely az apikális reszekció, a retropreparáció és a retrofeltöltés révén jobb láthatóságot és helyet biztosít. Egyes szerzők csontrögzítést javasolnak, ha a blokk nagy, míg mások nem találtak különbséget a gyógyulási arányban, és kollagénanyag elhelyezését javasolták a donor és a recipiens terület közé, ha a blokk nem stabil. Mivel a visszahelyezett csontblokk mozgékonysága zavarhatja az osteo-

tómia gyógyulását, fontos figyelmeztetni a betegeket, hogy ne nyomják a műtéti területet, és csökkentsék a blokk nekrózisának és szekvesztrációjának esélyét.

23

A

mikrosebészeti endodontia után „csont

Cél: Az alábbi esetismertetés célja, hogy bemutassa a vestibuláris csont gyógyulását „csontablak-technika” és reszorbálható kollagénmembrán alkalmazása után egy négyfalú, endodontikus eredetű kis lézióban.

Bevezetés: osztályú (1), E, F osztályú (2), ezért regeneratív terápiák javasoltak. Mindazonáltal a regeneratív terápiák alkalmazása a négyfalú, endodontikus eredetű kis léziókban nem teljesen vizsgált, és az eredmények nem meggyőzőek.

Anyagok és módszerek: 42 éves nő fordult a szerző rendelőjébe tüneti apikális parodontitisszel. A PA röntgenfelvételen az apex körül sugárzástól átlátszó kép és extrudált gyökércsatorna obturációs anyag volt látható, a CBCT-n megőrzött vestibuláris csont mellett (1–2. ábra). Mivel az elmúlt három évben kétszer

végeztek NSRCT-t, és a gyökércsatorna obturáció homogénnek, de túlságosan extrudáltnak tűnt, sebészi kezelés mellett döntöttek.

Szépen beállított ideiglenes korona volt jelen, kóros szondázási mélység és szondázási vérzés nélkül. Nem volt jelen sinus tractus (3–5. ábra). Tüneti apikális parodontitis 1. osztály (Von Arx&Cochrane 2001); B osztály (Kim&Kratchman 2005) és korábban elvégzett gyökérkezelés volt a végső diagnózis.

A szubmarginális teljes vastagságú lebenyt két felszabadító bemetszéssel végeztük egy 69-es számú, dupla lekerekített mikropengével (Swann–Morton) (6–7. ábra) A vestibularis csont ép volt, ezért csontablak-technikát alkalmaztunk és végeztünk (6–8. ábra) piezo készülékkel (Woodpecker DTE AI Surgery) és „US1, UC1” (Guilin Woodpecker Medical Instrument Co., LTD) hegyekkel. A blokkot az intraoperatív szakaszok alatt sóoldatban tartot-

vestibuláris csont gyógyulása
ablak technika” és reszorbálható kollagén membrán alkalmazásával egy négyfalú, endodontikus eredetű kis lézióban
Dental World Journal / Endodontia Kongresszus 17

tuk. Az apikális reszekciót (8. ábra) az „UC1” (Guilin Woodpecker Medical Instrument Co., LTD) segítségével végeztük el, és a gyökeret egy 3 mm-es „MM4” (Hu-Friedy Manufacturing Co. LLC) kerek tükörrel vizsgáltuk a VRF szempontjából (13. ábra). A gyökérvég polírozását (11. ábra) az „UL4” (Guilin Woodpecker Medical Instrument Co., LTD) segítségével végeztük. A csontos kripta küretizálása kézi küretezéssel történt, de a csontos kriptában lévő további hámbélés eltávolításával a gyógyulási folyamat felgyorsítása érdekében piezo „UL3” (Guilin Woodpecker Medical Instrument Co., LTD) piezo hegyet is használtunk (9–10. ábra). A három mm-es retropreparációt (14–17. ábra) a „JT2SA” hegy (B&L Biotech) segítségével végeztük el. A retropreparációt ismét ellenőriztük a guttapercha maradványok tekintetében, leöblítettük és papírhegyekkel meg-

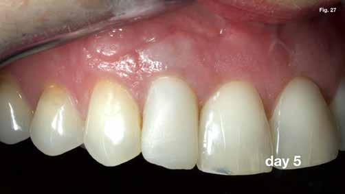
szárítottuk (18–20. ábra), majd retropecsétet (21–23. ábra) készítettünk „Neo Mta plus” (Avalon Biomed). A csontos blokkot visszahelyeztük (24. ábra) az eredeti helyzetébe, és a „Jason membrán” (Botiss Biomaterials GmbH) reszorbálható kollagénmembránt használtunk a blokkablak lefedésére (25. ábra). A lágyrészek varrására (26. ábra) nem felszívódó 6,0 monofilamentumos varratokat használtunk (SMI), amelyeket az 5. napon eltávolítottunk (27. ábra).

Eredmények: (3) és RAC-B összpontszám 2 (2-2-2/ 2) az 1 éves CBCT-követéskor (30–32. ábra), (4, 5,). Az 1 éves követéskor a lágyrészeken nem volt látható recesszió, csak enyhe színkülönbség a sebgyógyulás és a keratinizált szövet között, de ez a páciens számára nem aggályos (28. ábra).

18 Dental World Journal / Endodontia Kongresszus
Dr. Geninho Thomé Neodent Founder and Scientific President Matthias Schupp CEO of Neodent & EVP LATAM Straumann Dr. Sérgio Bernardes New Product Development & Clinical Practice Director
Dr. Párkányi László elo˝adó Dr. Heintz Renáta elo˝adó Dr. Alessandro Perucchi elo˝adó Dr. Cristian Scognamiglio elo˝adó

Megbeszélés: Az első mikrosebészeti endodontiai beavatkozást több mint 50 évvel ezelőtt Rud&Andreasen (6) jegyezte fel, és megállapították, hogy a vertikális vagy palatális csont elvesztése rostos szöveti gyógyulást eredményezett. Állatkísérletes vizsgálatok azt mutatták, hogy a vestibularis csont gyógyulása következik utoljára, és a 6 hónapos követéskor 70%-os a gyógyulási arány, míg Von Arx az 1. évi CBCT-követéskor a vestibularis lemez gyógyulását csak 54%-ban mutatta ki (7). Elvesztése regeneratív terápiát igényelhet graftanyagokkal. F. Khoury és R. Hensher 1987-ben írta le először a csontablak-technikát, amelynek célja nemcsak a műtéti eljárás láthatóságának és helyének növelése, hanem a vestibularis csont megőrzése és a graftanyagok autológ anyagokkal való helyettesítése is (8). Ebben az

esetben a blokkablak-technika egy reszorbálható kollagénmembránnal együtt nagyon rövid idő alatt teljesen helyreállíthatja a vestibularis csont és a csontkripta integritását, amint azt ez az esetismertetés és a szakirodalom is mutatja (9). Az eljárás egyszerű és kényelmes, amely az apikális reszekció, a retropreparáció és a retrofeltöltés révén jobb láthatóságot és helyet biztosít. Egyes szerzők csontrögzítést javasolnak, ha a blokk nagy, míg mások nem találtak különbséget a gyógyulási arányban, és kollagénanyag elhelyezését javasolták a donor és a recipiens terület közé, ha a blokk nem stabil (9). Mivel a visszahelyezett csontblokk mozgékonysága zavarhatja az osteotómia gyógyulását, fontos figyelmeztetni a betegeket, hogy ne nyomják a műtéti területet, és csökkentsék a blokk nekrózisának és szekvesztrációjának esélyét.

20 Dental World Journal / Endodontia Kongresszus
Eighteeth Brilliance 48° Döntött Lecséjű Loupe Állítható Nagyítással (4,9-5,6X) 499 990 Ft Bioclear Matricarendszer BT Anterior, Evolve és a Diamond Wedge-ek 5 490 - 349 990 Ft Eighteeth Curing Pen Hipererős és Ergonomikus Polimerizációs Lámpa 79 990 Ft Helios 500 Oralscanner Ultragyors, Pillekönnyű, Pontos és Egyszerű 4 999 990 Ft 20 ÉVE ÚJDONSÁGOKKAL AZ ESZTÉTIKA MINDEN TERÜLETÉN @volomshop volomshop.com shop@volomshop.com Olvassa be a QR-kódot termékeinkért!

A hat csatorna ritka esete

Dr. Byron Tsivos

Klinikai vizsgálat

A kezdeti konzultáció során az LL6 nem reagált az Endo-Frost (COLTENE) és az Electric Pulp testerrel végzett érzékenységi vizsgálatokra, és ütögetésre érzékenynek bizonyult. Bukkálisan a lágyrészekhez kapcsolódó fisztulát észleltek, és tapintásra némi érzékenységet, míg a fogak mozgékonysága a normális határokon belül volt. A műtét előtt készült periapikális röntgenfelvételen az LL6 gyökereihez kapcsolódó periradikuláris röntgenfelvételek voltak láthatóak (1. ábra).

Dr. Byron Tsivos (DDS MSc Endodontia) a The Square Dental Referral Clinic endodontológus szakorvosa a Man-szigeten. Dr. Tsivos 2008-ban az UCL Eastman Fogászati Intézetben szerezte meg MSc diplomáját endodontia szakon, és aktív tagja a Brit és az Európai Endodontiai Társaságoknak. Itt egy ritka esetet mutat be, amelyben hat csatornát azonosítottak és kezeltek az LL6-ban.

A beteg panasza

A beteget egy helyi általános fogorvos küldte be, mivel panasza szerint a közelmúltban az LL6 fogsorában fájdalom és duzzanat jelentkezett, amit a harapás súlyosbított. A páciens kórtörténetében nem volt semmi klinikailag figyelemre méltó, és rendszeresen járt fogorvoshoz.

Ebben az esetben hat csatornát azonosítottak és kezeltek. Általában az alsó állkapocs első őrlőfogainak három-négy csatornája van.[i] Azt is feltételezték, hogy az első alsó őrlőfogak 3%-ának lehet egy harmadik meziális vagy disztális csatornája.[ii] Ebben az esetben egy harmadik csatornát azonosítottak és kezeltek mind meziálisan, mind disztálisan, és az utóbbi lelet előfordulása egyetlen fogban rendkívül ritka, mindössze három esetről szóló közlemény jelent meg [iii], [iv], [v].

Diagnózis

Az akut súlyosbodással járó krónikus apikális parodontitis előzetes diagnózisa alapján a következő lehetőségeket adták a betegnek: az LL6 nem sebészi gyökérkezelését a helyreállíthatósági vizsgálat függvényében; és az LL6 foghúzását. Az előnyök és hátrányok megvitatása után a páciens az endodontikus kezelés mellett döntött.

Kezelési útvonal

A következő rendelésen az LL6-ot a régi tömés és a szuvas szövet eltávolítása után nagy nagyítással restaurálhatónak találták. A fogat egy nagy teherbírású gumidámmal (COLTENE) izoláltuk, és a kezelés megkezdése előtt 3%-os NaOCl-ba mártott vattakoronggal fertőtlenítettük a gumidámot, a hozzáférési üreget és a fogszorítót.

Ezután egy DG 16 endoszonda segítségével kezdetben négy csatornanyílást (két meziális és két disztális) állapítottunk meg. Kézi reszelőt használtunk a csatornák átjárásához és a felderítéshez. Nagyobb nagyítással történő további vizsgálat és a mezialis embriomentalis barázdáknál X3 Smart EMS hegyes vájat használata után egy harmadik mezialis és egy harmadik disztális csatornát azonosítottunk. Mind a hat csatornát 0 olvasásnál rozsdamentes acél kézi reszelővel

1

15-ös méretig, majd a COLTENE HyFlex™CM NiTi reszelővel (500 rpm 2,5 N.cm nyomaték) 0,4-es 30-as méretig preparáltuk. A HyFlex™CM reszelők már több mint hat éve a választott rotációs eszközeim, számos kiváló tulajdonságuknak köszönhetően, beleértve az ellenőrzött memóriát és a kivételes fáradásállóságot.

Egy másik kritikus pont az, hogy ezek a reszelők előgörbíthetők, és a nehéz csatornákhoz való hozzáférés most már nagyon egyszerű. Korábban meg kellett nagyítanom a hozzáférési üreget és meg kellett feszítenem a rotációs reszelőimet, hogy az alsó második vagy harmadik molárisok, illetve a felső állkapocs második vagy harmadik molárisok meziobukkális csatornáit kezelni tudjam. A HyFlex™CM reszelőkkel ez nem így van – mi több, hőkezeléssel visszaállítható az eredeti alakjuk. Ez nagy bizalmat ad nekem abban, hogy az eszközt vissza tudom helyezni egy erősen ívelt csatornába. Ezen túlmenően a HyFlex™CM reszelők bizonyítottan jobbak a törmelék apikális extrudálásában, és kevesebb dentinalis repedésük van, mint más reszelőknek. Emellett kiküszöbölik a szállítási problémákat, és olyan módon megőrzik az eredeti anatómiát, amit más műszerrel még nem tapasztaltam.

A gyökércsatorna-rendszer előkészítése után az irrigálást NaOCl 3%-os és EDTA 17%-os oldatokkal végeztük el, mielőtt passzív ultrahangos irrigálást és dinamikus mesterkúp keverést alkalmaztunk a 60˚ C-ra felmelegített irrigálószerek keveréséhez.

Az LL6 végleges obturálását folyamatos kondenzációs hullámtechnikával végeztük, és a hozzáférési üreget a COLTENE által gyártott, több árnyalatú nano hibrid kompozittal, aMIRIS®2-vel zártuk le (2–4. ábra).

Eredmény

Egy héttel a kezelés után a páciens felülvizsgálata után az LL6 tünetmentesnek és jó endodontiai prognózisúnak bizonyult. Mint ilyen, visszautalták a kezelőorvosához a korona helyreállítása és a rutin ellátása céljából.

Dental World Journal / Endodontia Kongresszus 23
2 3 4

A mikroszkóp a kezelések minőségének ugrásszerű

javításához alapvető darab

Dr. Nuno Pintóval beszélgettünk

lógiák megkönnyítik a munkát. Az én generációmban rendkívüli változás történt, és ugyanez a forradalom volt felelős azért, hogy a mai endodoncia megváltozott.

Ön szerint milyen feltételek megléte nélkül nem érdemes a gyökérkezelésbe belekezdeni?

Ma a minimális feltételek nagyon különböznek a 20 vagy 25 évvel ezelőtt lehetséges feltételektől. Ma, a megkövetelt jelenlegi minőségi szabványok mellett szükség van elméleti és gyakorlati ismeretekre és olyan eszközökre, amelyek segíthetnek a minőség javításában, mint például a mikroszkóp, amely a kezelések minőségének ugrásszerű javításához alapvető darab, és amely mindig az ultrahangos hegyekhez kapcsolódik. Bár az endodoncia területén sok mítosz létezik, amelyeknek szerintem semmi értelme!

Véleménye szerint a mai modern technikák és eszközök már lehetővé teszik a kevésbé invazív kezelések tervezését és kivitelezését?

Kérem, mondja el röviden szakmai életútjának és tudományos munkásságának legfontosabb állomásait!

Lisszabonban élek és dolgozom, és 2001-es diplomám megszerzése óta foglalkozom endodontiával. Az elmúlt 21 évben lehetőségem volt arra, hogy Európa egyik legjelentősebb klinikáján (maloclinics) endodonciai osztályon dolgozzak, még akkor is, amikor Barcelonában, a Catalunya nemzetközi egyetemen végeztem az endodoncia mesterképzést. Azóta lehetőségem volt a csúcstechnológiával dolgozni. Klinikus vagyok, és néha tudományos projekteken dolgozom, csak azért, hogy javítsam a klinikai eljárásokat.

Mikor döntött arról, hogy a fogászat óriási tudástárában az endodoncia szakterülete irányába szeretne fordulni?

Kezdettől fogva tudtam, hogy egy nap az endodoncia területén fogok dolgozni. Abban az időben sok fejlesztés megváltoztatta a perspektívámat, és rájöttem, hogy az endodoncia világa az én utam, ez egy titokzatos terület, de ugyanakkor lenyűgöző, az új techno -

Az endodoncia ma sokkal kevésbé invazív, mint az elmúlt évtizedben. A mikroszkópos, ultrahangos hegyek, mechanikus reszelők (rugalmas, torziós és fáradással szemben ellenálló ötvözetekkel), valamint a háromdimenziós obturációt lehetővé tevő obturációs rendszerekkel együtt, amelyek lehetővé teszik a háromdimenziós obturációt anélkül, hogy a csatornákat túlzottan meg kellene tágítani, már nincs szükségünk a struktúra eltávolítására a vizualizáció, a tisztítás és alakítás, az irrigálás és az obturáció hatékonyabbá tétele érdekében. Ma már kiszámíthatóbb hosszú távú eredményekkel rendelkező kezeléseket érünk el. Az, hogy kevésbé invazívak vagyunk, azonban nem jelenti azt, hogy eljárásunkat ostobán megnehezítjük.

Ön szerint is a megfelelő bemeneti kavitás a hosszú távú siker záloga?

A hozzáférés kétségtelenül az egyik legfontosabb lépés a végeredmény szempontjából. A hozzáférés az a szakasz, ahol a legtöbb időt pazarolom, és amely meghatározza a kezelés nagyobb vagy kisebb nehézségét és a jobb vagy rosszabb végeredményt. Ebben a szakaszban fontos szerepet játszik a CBCT, az anterior rx, valamint a mikroszkóp és az ultrahangos adatok.

A gépi tágítás határai, hova fejlődhet a precizitás? Őszintén szólva, jobban szeretem a dugattyús műszerezést, mivel sokkal biztonságosabbnak és bizonyos mértékig könnyebben megoldhatónak tartom az esetek kb. 80%-ában. A VDW elhagyása után meg kellett változtatnom a gondolkodásmódomat, és vissza kellett térnem a forgó reszelőkhöz, de teljesen megváltoztatva annak működési módját, és elkezdtem csak egy reszelőt használni (mintha az egy dugattyús reszelő lenne) az esetek többségében. Egy másik fontos eredmény, hogy ma már a beépített csúcspontkeresővel ellátott motorok szerepe lehetővé teszi a műszereink jobb vezérlését, olyan pontossággal, amely néhány évvel ezelőtt még elképzelhetetlen volt.

Melyik az ön számára leghatékonyabb gyökércsatorna-fertőtlenítési módszer?

Mindannyian tudjuk, hogy nincs tökéletes megoldás. Az elmúlt évtizedekben számos kísérlet történt arra, hogy a leghatékonyabb és tudományosan bizonyított megoldást letaszítsák a trónról, a hipoklorit a legolcsóbb és leghatékonyabb megoldás, és még sokáig az is marad. De játszhatunk a koncentrációjukkal és a teljesítési idejükkel, valamint az aktiválásukkal, ahol véleményem szerint az Eddy óriási előnyben van a többivel szemben. Klinikai gyakorlatomban a hipoklorit, az EDTA és az aktiválás a protokollom része.

Ön szerint hogyan fog kinézni az endodonciai kezelés a jövőben? A mesterséges intelligencia és a digitalizáció mindent megváltoztat?

A digitalizálásban, ahogyan azt ma használják, úgy gondolom, hogy az út nem ezen keresztül vezet majd, hanem a mikroszkópot a digitalizálás részeként használva, és a navigációt háromdimenziós vizualizációval beépítve, a CBCT segítségével együtt. Az elkövetkező időkben látni fogjuk a mikroszkópok fejlődését, amelyek lehetővé teszik az egyes lépések vizualizálását háromdimenziós információk segítségével és valós időben, a CBCT-adatok integrálásával.

Szabadidejében mi jelenti ön számára a kikapcsolódást, a pihenést?

Őszintén szólva, az endodoncia nekem kikapcsolódást jelent, szabadidőmben azonban szeretek szörfözni és búvárkodni.

Dental World Journal / Endodontia Kongresszus 25

Vezethet-e az irrigálószer keverése kenetréteg kialakulásához?

Dr. Nuno Pinto

Absztrakt

Bevezetés: A vizsgálat célja annak felmérése volt, hogy az ultrahangos aktiválás (UA) vagy az EasyClean (EC; BassiEndo, Belo Horizonte, BH, Brazília) vagy az EDDY (ED; VDW, München, Németország) rendszerek, amelyeket az irrigáló oldatok felkavarására használnak a fi nális irrigációs lépés során, vezethetnek-e kenetréteg kialakulásához a gyökércsatorna apikális harmadában. Módszerek: Tizenhárom premoláris fogat a Reciproc R40 fi le-rel (VDW) instrumentáltunk, és szilikonba ágyaztunk, így zárt öntöző/aspirációs rendszert alkottunk. A fogakat felhasítottuk, és a megfigyelési helyek standardizálása érdekében 4 bemélyedést készítettünk a csatorna belső bukkális falán. Az összes mintát ultrahangos fürdőben tisztítottuk és környezeti pásztázó elektronmikroszkópiával értékeltük, így képezve a kontrollcsoportot. Ugyanezeket a mintákat újra összerakták, UA vagy az ED vagy EC rendszerrel fi nomális öblítésnek vetették alá, és egy 4 fokozatú pontozási rendszer segítségével osztályozták. Az adatokat a kappa, Pearson és Kruskal-Wallis tesztekkel elemeztük (P , .05). Eredmények: A kenetréteg kialakulása minden kísérleti csoportban és minden apikális szinten előfordult. A 3 és 4 mm-es magasságban minden kísérleti csoportban szignifikánsan magasabb volt a kenetréteg-képződés szintje, mint a kontrollcsoportban. 2 mm-nél az UA csoportban a kenetréteg-képződés szintje szignifikánsan magasabb volt, mint a kontrollcsoporté, és nem volt szignifikáns különbség az EC, ED és kontrollcsoportok között 1 mm-nél nem volt szignifikáns különbség az ED és a kontrollcsoportok között, az EC és UA csoportokban pedig a kenetréteg képződési szintje szignifikánsan magasabb volt, mint a kontrollcsoporté. Az ED és az EC csoportok között nem volt szignifikáns különbség egyik apikális szinten sem. Következtetések: A kenetréteg-képződés az összes fi nális irrigálásnak alávetett mintában előfordult, függetlenül az alkalmazott technikától. (J Endod 2020;-:1-5.)

Kulcsszavak

EasyClean; Eddy; kenetréteg; nátrium-hipoklorit; ultrahangos aktiválás

A gyökércsatorna műszerezése szerves és szervetlen komponensekből álló maradék réteget eredményez. Ez a kenetréteg tartalmaz szennyezett és nem szennyezett törmeléket is, amely a dentinalis

felszínhez tapad. Eltávolítása javallott a fertőtlenítés optimalizálása, az irrigálószerek és intrakanális gyógyszerek behatolásának megkönnyítése, valamint a fi lálóanyagok jobb alkalmazkodásának elősegítése érdekében a gyökércsatorna-rendszer falához (1,2).

Az ultrahangos módszerek alkalmazása az irrigáló oldatok aktiválásához elősegíti a biofi lmek felszakadását és a törmelék eltávolítását az áramlási és akusztikus kavitációs jelenségek révén (3-5). Hatótávolságuk azonban korlátozott, mivel a kavitáció csak az ultrahangos csúcson túl, legfeljebb 2 mmre jelentkezik6; ráadásul ennek a csúcsnak interferenciától mentesen kell működnie a gyökércsatornán belül ahhoz, hogy hatékony legyen, amely görbe csatornákban akadályozza a teljesítményt. Ugyanerre a célra, de alacsonyabb frekvencián használják a szonikus eszközöket is. Az EDDY rendszert (ED; VDW, München, Németország) úgy alkották meg, hogy maximum 6000 Hz-es frekvencián használható legyen, és egy kézidarab és egy pneumatikus motor hajtja. Ez a műszer flexibilis poliamidból készül, csúcsátmérője 0,20 és kúpossága 0,04, és a munkahossz (WL) szintjén kell alkalmazni.

Az öntözőoldatok keverésére kifejlesztett másik rendszer az EasyClean (EC; BassiEndo, Belo Horizonte, BH, Brazília). Ezt a rendszert úgy fejlesztették ki, hogy reciprokáló vagy folyamatos rotációs kinematikával működjön, és egy repülőgépszárny alakú akrilnitril-butadién-sztirol eszközből áll, amelynek csúcsa 0,25 átmérőjű és 0,047,8 kúpos.

A kenetréteg eltávolítását értékelő tanulmányok általában a műszeres beavatkozás és valamilyen fi nális irrigálószer-aktiválási technika elvégzése után végzett elemzésekre terjednek ki; egyikben sem figyelték meg a kenetréteg teljes eltávolítását, különösen a gyökércsatorna apikális harmadában (7-14). Az irrigálószer-agitációs rendszerek által elősegített dentinalis erózió pásztázó elektronmikroszkópiával történő értékelése során Simezo és munkatársai15 a dentinalis falakon kenetréteg kialakulását figyelték meg, még akkor is, ha nem végeztek mechanikus műszeres eljárást. Ez a megfigyelés motiválta a jelen tanulmányt; célunk annak értékelése volt, hogy az ultrahangos aktiválás (UA) vagy az irrigáló oldatok felkavarására a fi nális irrigálási lépés során alkalmazott EC- vagy ED-rendszerek vezethetnek-e kenetréteg kialakulásához a gyökércsatorna apikális harmadában. A vizsgált nullhipotézisek a következők voltak: (1) hogy egyik

vizsgált irrigálószer-kavaró rendszer sem vezet a kenetréteg kialakulásához, és (2) hogy a vizsgált irrigálószer-kavaró rendszerek között nincs különbség a használatukkal összefüggő kenetréteg-képződés mértékét illetően.

Anyagok és módszerek

Minta

A vizsgálatot a helyi kutatási etikai bizottság jóváhagyta (nyilvántartási szám: 3.194.459). A kísérleti vizsgálatban a mintanagyság kiszámításához a varianciaanalízis tesztet használták. A kezelések mediánjai közötti minimális különbség 5 1, a hiba szórása 5 0,735, a kezelések száma 5 4, a teszt ereje 5 0,80 és az alfa 5 0,05, a számítások szerint legalább 13 mintára van szükség. Így 13 fogat választottunk ki, és a kísérlet időpontjáig 10%-os timolos oldatban tároltuk őket. A vizsgálatba olyan mandibuláris premoláris fogakat vontak be, amelyek gyökerei teljesen kialakultak, egyetlen csatorna volt, amelynek görbülete 0 és 15 fok 16 között volt, nem voltak repedések vagy függőleges törések, nem volt belső vagy külső reszorpció, és nem volt korábbi endodontiai kezelés. A fogakat meziodisztális és bukkolingvális irányban megröntgenezték, és 8x magni fi kációval operációs mikroszkóp (M900; DF Vasconcellos, Sao Paulo, SP, Brazília) alatt elemezték, hogy megbizonyosodjanak a befogadási és kizárási kritériumok teljesüléséről.

WL szabványosítás

Minden egyes minta gyökércsatornájához olyan gömb alakú gyémántfúróval fértünk hozzá, amelynek mérete megegyezett a minta pulpakamrájának méretével. Egy #10 K-típusú file-t (Dentsply Maillefer, Ballaigues, Svájc) vezettünk be a csatornába, amíg a hegyét az apikális foramen szintjén láttuk. Egy gumiütközőt a korona okkluzális széléhez igazítottunk, és meghatároztuk a minta valódi hosszát. Ezután a koronát egy acélkoronggal csökkentettük, hogy a minta méretét 10 mm-re standardizáljuk. A WL-t az apikális foramen 1 mm-rel rövidebbre állapítottuk meg. Minden egyes mintát kézzel műszereztünk a WLig egy #15 K típusú fi le-vel (Dentsply Maillefer), majd ezt követően gépi műszerezés következett egy Reciproc R40 (40.06) fi le-vel (VDW), amelyet egy elektromos motor (VDW Gold, VDW) hajtott, és a WL eléréséig a visszahúzás során kefés mozdulatokkal végzett ki-be mozdulatokkal. Minden 3 mozdulatnál a csatornát kiöblítettük, és a foraminális átjárhatóságot egy #15 K típusú fi le-vel tartottuk fenn. Az instrumentálás során a csatornákat 2,5%-os nátrium-hipoklorit (NaOCl) segítségével, NaviTip 30-G tűvel öblítettük.

(Ultradent, South Jordan, UT) egy eldobható 5 mles műanyag fecskendőhöz csatlakoztatva, amely a WL-től 2 mm-re van elhelyezve, összesen kb. 15 ml irrigáló oldat.

A zárt irrigációs/spirációs rendszer szabványosítása Egy flask rendszert állítottunk fel egy zárt irrigációs/

aspirációs rendszer szimulálására a Kato et al7 által leírtak szerint. Minden gyökér bukkális és lingvális felületén hosszanti barázdákat hoztunk létre egy 0,15 mm vastag gyémántkoronggal (Komet Brazil, S~ao Paulo, SP, Brazília) anélkül, hogy a csatorna lumenét elértük volna. A csúcsokat viasszal lezártuk, 1,5 ml-es műanyag csövekbe helyeztük (Eppendorf do Brasil, Sao Paulo, SP, Brazília), majd szilikon alapú lenyomatanyagba (Coltene, Langenau, Németország) ágyaztuk. A szilikon megkötése után a gyökereket vésővel (Rhosse, Riberao Preto, SP, Brazília) felhasítottuk, hogy lehetővé tegyük a minták összeszerelését és újbóli összeszerelését.

Az apikális bemélyedések szabványosítása

A kísérletben felhasználandó gyökér bukkális felét egy ultrahangos készülékhez (Profi III Bios; Dabi Atlante, Ribeirao Preto, SP, Brazília) csatlakoztatott E5 ultrahangos hegy (Helse, Ribeirao Preto, SP, Brazília) segítségével távolítottuk el. Ezután négy egymást követő, körülbelül 0,3 mm széles, magas és mély bemélyedés készült a csatorna belső falán, a WL-től 1 mm-re kezdődően, 1 mm-es intervallumokkal elválasztva, hogy megállapítsuk és szabványosítsuk a később környezeti pásztázó elektronmikroszkópiával (ESEM) megfigyelendő helyeket. A megfigyelési helyeket úgy határoztuk meg, mint az apikális foramentól 1–4 mm-re lévő szinteken készített bemélyedések fölött közvetlenül elhelyezkedő területeket.

Mintatisztítás és környezeti pásztázó elektronmikroszkópos elemzés

A mintákat 2,5%-os NaOCl és 17%-os EDTA tartalmú ultrahangos fürdőben tisztítottuk 1 percig, majd 1 percig folyó vízben mostuk. Ezután 24 órán keresztül 38 Celsius-fokos inkubátorban szárítottuk, majd lezárt műanyag tartályban tartottuk őket, hogy biztosítsuk a törmelék teljes hiányát. Ezután minden egyes mintát szénragasztószalaggal egy fémcsonkhoz rögzítettünk, és 600! magni fi káció mellett ESEM (Phenom-World, Eindhoven, Hollandia) vizsgálatra küldtünk be. A megfigyelési helyekről kezdeti képeket készítettünk és digitálisan tároltunk, ezek képezték a kontrollcsoportot. Ugyanezekről a helyekről az egyes kísérleti protokollok alkalmazása után új képeket készítettünk, és ezek képezték a kísérleti csoportokat.

Mivel az ESEM nem igényli a minták előzetes előkészítését, mint például a porlasztásos bevonás és a kritikus ponton történő szárítás, ugyanazokat a mintákat használtuk a kontroll- és a kísérleti csoportban, amely lehetővé tette a szabványosítást. Ebből a célból minden egyes mintadarabot a kezdeti képek elkészítése után (kontrollcsoport) újra elhelyeztünk a műanyag flaskban, majd egymás után a 3 kísérleti protokollnak vetettük alá az alábbiak szerint.

Irrigálószeres keverési protokollok

Az EC-csoportban az öntözőoldatot az EC-vel aktiválták (25/04). A csatornát 2,5%-os NaOCl-lal

Dental World Journal / Endodontia Kongresszus 27

töltöttük fel egy 5 ml-es eldobható műanyag fecskendőhöz csatlakoztatott NaviTip 30-G tű segítségével. A műszert a WL-re helyeztük, és egy elektromos motor (VDW Gold) hajtotta Reciproc All üzemmódban. Az aktiválást 3, egyenként 20 másodperces ciklusban végeztük, és minden ciklus után 2 ml irrigáló oldatot újítottunk fel. Ezután az irrigálószert leszívtuk, majd ugyanezt a szekvenciát 17%-os EDTA oldattal végeztük el, amelyet újabb leszívás és további 3 ciklus 2,5%-os NaOCl-mal követett. Végül a csatornát desztillált vízzel mostuk át az irrigáló folyadék teljes eltávolítása érdekében. A kísérleti fázisban átlagosan 6 ml 2,5%-os NaOCl és 6 ml 17%-os EDTA került felhasználásra. Az irrigálószeres keverési lépés elvégzése után a gyökér bukkális részét eltávolították a flaskból, 37 Celsius-fokos inkubátorban megszárították, majd

ugyanezzel az eljárással és a kontrollcsoport számára megcélzott területekről készült felvételek rögzítésével ismét ESEM alatt értékelték. Mielőtt a mintákat a következő kísérleti protokollnak alávetettük volna, egy ProDesign Logic 25/01 rotációs fi le-t (BassiEndo) óvatosan, 350 fordulat/ perc sebességgel és 1 Ncm nyomatékkal alkalmaztunk a csatornafalakra, hogy eltávolítsuk az esetleges eróziós területeket. Ezután a mintákat egy új ultrahangos fürdőbe helyeztük, hogy elősegítsük a dentinfalak teljes tisztítását, majd ismét visszahelyeztük őket a flaszkjukba. Az ED csoportban az irrigáló oldatot az ED-vel aktiválták (20/04). A készüléket egy pneumatikus szonikus készülékkel (Airscaler Sonic Borden 2000N; KaVo, Biberach, Németország) 6000 Hz-es frekvencián hajtottuk meg, be- és kivezető mozgá -

28 Dental World Journal / Endodontia Kongresszus
1. ábra: Reprezentatív képek a kenetréteg kialakulásáról a 4 apikális szinten, amelyeket a vizsgált irrigálószeres keverőrendszerek alkalmazása után értékeltek és ESEM segítségével készítettek.

sokat végezve a WL-ig. A keverés, a szívás és az irrigálószer megújítása, a minták tisztítása és szárítása, valamint a képek rögzítése és tárolása ugyanazokat az eljárásokat végezték, mint az EK-csoport esetében.

Az UA csoportban az irrigáló oldatot egy ultrahangos készülékhez (Profi III Bios, Dabi Atlante) csatlakoztatott ultrahangos hegy (E1-Irrisonic, Helse) (20/01) aktiválta, amelyet 30%-os teljesítményre állítottak be, és 1 mm-rel a WL előtt helyeztek el; különös gondot fordítottak arra, hogy a hegy ne érjen a gyökércsatorna falához. A keverés, a szívás és az irrigálószer megújítása, a minták tisztítása és szárítása, valamint a képek rögzítése és tárolása ugyanazokat az eljárásokat végezték, mint az EK-csoport esetében.

A képek értékelése

A kísérleti és a kontrollcsoport képeit egymás mellé helyeztük prezentációs szoftver (PowerPoint; Microsoft, Redmond, WA) segítségével, majd 4 független és kalibrált vizsgáló, akik a vizsgálatra vakok voltak, a Gambarini és Laszkiewicz17 tanulmányából adaptált 4 fokozatú pontozási rendszer segítségével elemeztük és osztályoztuk (1. ábra) :

1. pont: nyitott dentincsövek kenetréteg nélkül.

2. pontszám: nyitott dentinális tubulus, ahol a kenetréteg a vizsgált terület kevesebb mint 50%át fedi le.

3. pont: nyitott dentinális tubulusok, amelyeken a kenetréteg a vizsgált terület több mint 50%-át borítja.

4. pontszám: a vizsgált terület 100%-át borító kenetréteggel rendelkező dentincsövek.

Statisztikai elemzés

A vizsgálók közötti egyetértés szintjét a kappa-teszt segítségével határoztuk meg, a vizsgált csoportok mintáinak képeihez rendelt pontszámok közötti különbségeket pedig Pearson és Kruskal-Wallis tesztekkel elemeztük (P , .05).

Eredmények

A vizsgálók közötti egyetértés szintje erős volt (kappa 5 0,82). A kontrollcsoport mintáinál egyik vizsgált szinten sem volt kenetréteg. Az 1 mm-es mérésnél nem volt szignifikáns különbség az ED és a kontrollcsoportban megfigyelt kenetréteg-képződés szintjei között, az EC és UA csoportok eredményei pedig szignifikánsan magasabbak voltak, mint a kontrollcsoporté. 2 mm-nél az UA csoport kenetréteg-képződés szintje szigni fi kánsan magasabb volt, mint a kontrollcsoporté, és nem volt szigni fi káns különbség az EC, ED és kontrollcsoportok között. A 3- és 4 mm-es szinteken minden kísérleti csoportban szigni fi kánsan magasabb volt a kenetréteg-képződés szintje, mint a kontrollcsoportban. Az összes vizsgált apikális szinten minden kísérleti csoportban megjelent a kenetréteg (1–2. táblázat).

Megjegyzés

A tanulmányban megfigyelt eredmények alapján mindkét nullhipotézist elvetettük. A minták előkészítése magában foglalta egy zárt irrigációs/aspirációs rendszer szimulációját és fi xált megfigyelési

1. táblázat: Az EasyClean (EC), az Eddy (ED), az ultrahangos agitáció (UA) és a kontrollcsoportok összehasonlítása a 4 apikális szinten a kizárólag az irrigálószer-agitációval összefüggő kenetréteg kialakulása tekintetében az utolsó irrigációs lépésben elemzett 4 apikális szinten.

*Statisztikailag szignifikáns különbség egy soron belül (Pearson-teszt, P , .05).

2. táblázat: Az EasyClean (EC), az Eddy (ED), az ultrahangos agitáció (UA) és a kontrollcsoportoknak tulajdonított pontszámok mediánjai a 4 apikális szinten, a kizárólag az utolsó irrigációs lépésben végzett irrigációs agitációval összefüggő kenetréteg-képződés tekintetében elemezve. Az oszlopon belüli különböző betűk statisztikailag szignifikáns különbségeket jeleznek (Kruskal-Wallis teszt, P , .05).

29 Dental World Journal / Endodontia Kongresszus

pontok kiválasztását, hogy lehetővé tegye a minták ugyanazon dentinfal-területéről készült képek következetes összehasonlítását az egyes kísérleti protokollok alkalmazása előtt és után, így kizárva az anatómiai vagy dentinmorfológiai eltérések lehetséges interferenciáját az eredményekben7,15. Ezenkívül a kísérleti vizsgálat során képeket készítettünk az egyes kísérleti kezelések között végzett tisztítás ellenőrzése céljából. Ezeken a képeken az ultrahangos fürdő elősegítette a gyökércsatorna falának hatékony tisztítását, látható kenetréteg-maradványok nélkül.

A korábbi aktiválások által okozott erodált dentinterületek interferenciáját úgy kerültük el, hogy az egyes kísérleti protokollok között egy rotációs műszerrel eltávolítottuk ezeket az esetleges eróziókat, majd a mintákat megtisztítottuk, hogy eltávolítsuk a törmeléket és a kenetréteget a csatornafalakról. Kísérleti vizsgálatunk azt mutatta, hogy ez az eljárás nem növelte a csatornafelkészítés méretét. A jelen vizsgálatban alkalmazott módszertan kiválasztásának alapja az volt, hogy elérjük a minták anatómiai standardizálását, és garantáljuk ugyanazon területek vizualizálását és értékelését a különböző irrigációs protokollok elvégzése után. Ez volt a fő szempont, hogy megelőzzük a torzítás felvételét, figyelembe véve a vizsgálat célját, a gyökércsatorna tisztaságának ESEM segítségével történő értékelését. A jövőbeni vizsgálatok indokoltak az egyéb torzítási források kezelésére különböző módszertani stratégiák alkalmazásával.

Eddig a fi nális öntözőrendszerek hatékonyságát a kenetréteg eltávolításában vizsgáló tanulmányok mind a műszeres, mind az öntözőanyag-aktiválási eljárások elvégzése után végeztek értékeléseket. Egyikben sem voltak képesek a vizsgált rendszerek elősegíteni a gyökércsatorna hatékony tisztítását, különösen az apikális harmadban (8,10,12-14). Egy korábbi, az irrigációs rendszerek által okozott dentinaleróziót értékelő vizsgálatban (15) azonban megfigyelték a kenetréteg kialakulását, még azután is, hogy a csatornát teljesen megtisztították, és nem alkalmaztak semmilyen műszeres beavatkozást, amely arra utal, hogy ez a kialakulás a fi nális irrigációs eljárás során következett be. Ez a véletlen fi gyelem, valamint az abban a vizsgálatban használt elégtelen mintanagyság arra késztette a jelen vizsgálat elvégzését, hogy megállapítsa, hogy az irrigálószer keverési folyamata önmagában okozhatja-e a kenetréteg kialakulását, amely meg is történt.

A jelen vizsgálat eredményei azt mutatták, hogy a kenetréteg minden apikális szinten megfigyelhető volt, különböző pontszámokkal, függetlenül attól, hogy milyen technikát alkalmaztak az irrigálószer mozgatásának elősegítésére. Ezenkívül az UA csoportban minden vizsgált apikális szinten szignifikánsan nagyobb mennyiségű kenetréteg volt megfigyelhető, mint a kontrollcsoportban. Bár az ultrahanggal végzett fi nális öblítési protokoll (pl. UA) során használt fémbetétnek ideális esetben

nem szabadna megérintenie a gyökércsatorna falát, azzal lehet érvelni, hogy ez az érintkezés véletlenül is előfordulhat, és elvághatja a dentint, amely a törmelék kialakulásához és a csatorna falához való tapadásához vezet18. Érdekes módon azonban az ED és EC csoportban a 3- és 4 mm-es szinteken is szignifikánsan nagyobb mennyiségű kenetréteg volt, mint a kontrollcsoportban. Ez a megfigyelés gyengíti azt a hipotézist, hogy a műszer és a csatornafalak nem megfelelő érintkezése okozhatta a dentin vágását, figyelembe véve, hogy az ED és EC rendszerhez tartozó műszerek műanyagból készültek, amely megkérdőjelezi a dentin vágási és ebből következően kenetréteg-képző képességüket. Ezt szem előtt tartva felmerülhet annak a lehetősége, hogy a savas oldat (ebben az esetben 17%-os EDTA) használata elősegíthette egy kis dentinréteg15 erózióját, és hogy az irrigálószer mozgatásához használt (műanyag vagy fém) eszköz aktiválása (akár mechanikus, hang- vagy ultrahangos) az erodált réteg leválásához, majd a csatorna falához való tapadásához, ezáltal kenetréteg kialakulásához vezethetett.

E vizsgálat elsődleges célja nem a legjobb irrigálószer-keverési rendszer megállapítása volt, hanem inkább a kenetréteg kialakulásának valós lehetőségének felmérése, amely kizárólag a fi nomális irrigálószer-keverés során végzett irrigálószer-keveréssel függ össze. Valójában úgy tűnik, hogy valamennyi vizsgált rendszer elősegítette a csatornafalhoz tapadó törmelék képződését az összes vizsgált apikális szinten. Ez az eredmény segíthet megmagyarázni, hogy a vonatkozó szakirodalomban eddig egyetlen tanulmány sem számolt be olyan hatékony módszerről, amely az apikális harmadban lévő kenetréteg teljes eltávolítására alkalmas. Arra a hipotézisre is rámutat, hogy az irrigáló keverőrendszerek elősegíthetik a kenetréteg csökkenését, és ugyanakkor hozzájárulhatnak annak keletkezéséhez, bár kisebb mértékben. Ezért további vizsgálatok indokoltak a fi nomális öntözőrendszerek alkalmazásának megfelelőbb protokolljainak feltárása és kidolgozása érdekében, hogy elkerüljük vagy legalábbis csökkentsük ezt a nemkívánatos eredményt anélkül, hogy veszélyeztetnénk a gyökércsatorna falának tisztításában való effi cienciájukat.

Következtetések

Az alkalmazott módszertan korlátain belül arra a következtetésre jutottunk, hogy az összes vizsgált irrigálószer keverési rendszer a fi nális irrigációs lépés alkalmazása során kenetréteg kialakulásával járt, még akkor is, ha a gyökércsatorna falán nem végeztek korábbi műszeres beavatkozást.

Köszönetnyilvánítás

A szerzők tagadják a jelen tanulmányhoz kapcsolódó érdekellentéteket.

30 Dental World Journal / Endodontia Kongresszus
www.shop.realtrade.hu További információ: +36 1 261 6630
Színadaptív fényre keményedő kompozit ragasztócement
ÚJDONSÁG

Kérem, mondja el röviden szakmai életútjának és tudományos munkásságának legfontosabb állomásait!

Fogorvosi diplomámat a spanyolországi Granadában szereztem, de már az egyetemi évek alatt is különösen az endodontia szakterülete érdekelt. Ezért jelentkeztem posztgraduális képzésre az Universidad Europea de Madrid intézményébe, majd elvégzése után tanár lettem ugyanitt az alapszakos hallgatók számára, továbbá az Universidad Rey Juan Carlosban szintén oktattam az endodontia posztgraduális program résztvevőit. Később az Universidad Europea de Madrid-ban már az endodontia posztgraduális képzésnek lettem a tanára, közben megszereztem PhD. fokozatot. A fenti évek alatt a Kanári-szigeteken, Tenerifén dolgoztam endodontia szakorvosként.

Ön szerint, milyen feltételek megléte nélkül nem érdemes a gyökérkezelést elkezdeni?

A páciens szándéka a legfontosabb, hogy meg akarja-e menteni a fogát. A másik tényező, hogy a fog restaurálható legyen, továbbá a gyökérkezelést funkcionális tényezők is indokolják.

Véleménye szerint, a mai modern technikák és eszközök már lehetővé teszik a kevésbé invazív kezelések tervezését és kivitelezését?

A prognózis ugyan nem sokat változott az elmúlt években az endodontia területén, de az időközben fo -

lyamatosan bővülő új eszközök és berendezések megkönnyítik, valamint gyorsítják a kezelések időtartamát, s mindez kényelmesebbé teszi a betegek számára a beavatkozást.

Ön szerint is a megfelelő bemeneti kavitás a hosszú távú siker záloga?

A megfelelő hozzáférési üreg - beleértve a régi restaurációk és a szuvasodás eltávolítását -, kulcsfontosságú a sikeres kezelés többi lépésének a működéséhez. Ez teszi többek között lehetővé annak értékelését is, hogy az új restaurációnak milyen lesz a prognózisa, hiszen ez a „záloga” a kezelés hosszú távú sikerének.

Melyek a gépi tágítás határai?

Manapság már olyan rendkívül jó műszerek vannak a piacon, az a legfontosabb, hogy ezek között megtaláljuk azt a rendszert, eljárást, amelyik megfelel és működik számunkra, és akkor a határok igen sokáig bővíthetők.

Melyik Ön számára leghatékonyabb gyökércsatorna-fertőtlenítési módszer?

A kezeléseim során állandóan NaOCl-t használok, amelyet minden alkalommal amerikai és más felhasználók tippjeivel bővítem, aktiválom. A végső öblítési protokollhoz EDTA-t használok, szintén aktiválva. Úgy gondolom, hogy a megfelelő izoláció, illetve a keresztfertőzés ellenőrzése stb. a kulcs ahhoz, hogy mindez működjön. Manapság úgy tűnik, hogy szinte naponként jelennek meg az új és még újabb eszközök, berendezések, ezek alapos megismeréséhez még sok ismeretszerzésre, gyakorlásra lesz szüksége a szakembereknek. Véleményem szerint a folyamatos tanulás és fejlődés jelenti a jövőt az endodontiában is!

Ön szerint hogyan fog kinézni az endodontiai kezelés a jövőben? A mesterséges intelligencia és a digitalizáció mindent megváltoztat?

Őszintén és úgy gondolom, hogy a sok új eljárással először alaposan meg kell ismerkednünk, de a jövő a regeneratív endodontia!

Szabadidejében mi jelenti Ön számára a kikapcsolódást, a pihenést?

A szakmai munkámhoz kapcsolódóan szívesen keresem és olvasom azokat a tanulmányokat a szabadidőmben is, amelyek számomra még ismeretlen lehetőségeket taglalnak.

A sport nagyon fontos számomra, a feltöltődés és kikapcsolódás igen jelentős tényezője.

„A folyamatos tanulás és fejlődés jelenti a jövőt az endodontiában is!”
„Villámkérdések” dr. Ruth Perez Alfayete-hez

Endodontia Kongresszus

2023. október 12., csütörtök

09.50–10.00 Dr. Benyőcs Gergely: Megnyitó

10.00–12.30 Dr. Ruth Perez Alfayate (Spanyolország): Komplex diagnózis az endodontiában

A pontos diagnózis alapvető fontosságú a megfelelő kezelési terv meghatározásához. Hangsúlyozni kell, hogy az esetek többsége egyszerűsített módon megoldható, más eseteknél azonban a sajátosságok elfedhetik a diagnózist, amihez invazívabb kiegészítő vizsgálatokra van szükség az etiológia megértéséhez. Ugyanakkor, a diagnosztikai tesztek alkalmazása nagyfokú kétségeket vethet fel. Ezért, amikor összetett diagnózisú esetekkel szembesülünk, fontos a tudományos ismeretek és a józan ész alkalmazása, egyesítve a kiegészítő tesztek eredményeinek értelmezésére, a prognózis eldöntésére és az eset megfelelő kiválasztására az első fázisban a sikeres kezelés felé vezető úton.

12.30–14.00 Ebédszünet

14.00–15.30 Dr. Byron Tsivos (Egyesült Királyság): Hogyan javítják az innovációk és a technológiai stratégiák a hosszú távú prognózist az endodontia területén?

Az 1990-es évek előtt csak hagyományos endodontiai kezelés létezett, a gyökércsatorna előkészítése rozsdamentes acél kézi reszelővel történt, az obturációhoz pedig hideg laterális guttapercha tömörítéssel. A kezelés során a vizualizáció nem volt egyszerű, mivel nagyítást (azaz fogászati lupét) alig használtak. A klinikus számára pedig a (kétdimenziós) röntgenfelvételek jelentették az egyetlen támpontot a munkahossz és a kezelés módjának meghatározásához. Azóta az endodontia területe magáévá tette a technológiai fejlesztéseket és változásokat a gyökérkezelés jobb elvégzése érdekében. A mai újítások a műszerezésben (új reszelőrendszerek, ultrahangos eszközök stb.), az obturációban, a vizualizációban (a nagyítás) és a sebészeti műtéti technikákban lehetővé tették az endodontológusok számára, hogy jobb hosszú távú prognózist nyújtsanak betegeik kezeléséhez. Az endodontia jövőbeli trendjei közé tartoznak a regenerációs technikák és a 3D nyomtatás használata. Ez az előadás mindezen innovatív és technológiai stratégiákról szól a jelenlegi endodontiai kezelésben.

15.30–17.00 Dr. Forster András: Gyökérkezelt fogak helyreállítása modern szálerősítéses stratégiákkal

A gyökérkezelések sikertelenségének körülbelül 50%-át egy rosszul záró restaurátum okozza és a gyökérkezelt fogak elvesztésének egyik vezető oka ezen fogak katasztrofális törése. A fogászat elmúlt évszázadai nem tudtak olyan megoldást felmutatni, amely ezeket a problémákat hatékonyan és reprodukálhatóan orvosolta volna. A szálerősítéses műanyag technológia fejlődése ès a biomimetikus koncepció alkalmazása megoldást jelenthet a mechanikai és bakteriális kihívásokra. Előadásomban az elmúlt 10 év tudományos és klinikai eredményein keresztül mutatom be, merre vezethet a jövő endo-restorative fogászatának útja.

23

Endodontia Kongresszus

2023. október 13., péntek

09.50–10.00 Dr. Benyőcs Gergely: Megnyitó

10.00–12.30 Dr. Mile Churlinov (Észak-Macedónia): Navigált fog autotranszplantáció „A fogvesztés általában parodontális patológiát, függőleges gyökértörést, szuvas destrukciót és traumát követően következik be. A fogak autotranszplantációja olyan technika, amely magában foglalja egy mesterséges fogágy sebészi létrehozását vagy frissen kihúzott fogazat felhasználását, és egy autogén kitört vagy kitöredezett fog újrapozicionálását a fogazat elsődleges szerepének helyreállítása érdekében a funkció, a beszéd és az esztétika szempontjából. (1,2) Míg a donorfog „”PDL”” megőrzése a siker kulcstényezőjének tűnik, (4,5) egyes kutatók úgy találták, hogy az éretlen fogaknak jobb a prognózisa autotranszplantáció esetén, mivel könnyebben elősegíthetik a revascularizációt, mint az érett fogak (3), több esetismertető tanulmány is magas sikerességi arányról számolt be az érett fogak autotranszplantációja esetén (6-8), és 98,0% és 90,5% 1 és 5 év alatt, a szisztematikus áttekintések szerint (6). Korábbi kutatók megállapították, hogy egy nyomtatott donorfog (3D replika) a foghúzás előtt optimalizálhatja az eljárás teljes idejét, és ami a legfontosabb, csökkentheti a donorfog extraorális idejét (9). A digitális tervezéssel és a CBCT-vel a frissen kihúzott fogazat már nem jelent korlátot, ha az egész eljárást jól megtervezték, és az eljárást gyorsan végzik (12). Anssari Moin és munkatársai leírták a számítógépes sablonvezérelt autotranszplantáció módszerét egyedi, 3D-ben tervezett/nyomtatott sebészi eszközökkel (13), néhány évvel később pedig Abella és munkatársai még tovább mentek egy egyedi tervezésű oszteotómmal és a donorfog teljesen feltárt bukkális falával (14). Ebben az előadásban a szerző bemutatja, hogyan lehet a modern technológia segítségével autotranszplantációt tervezni és végrehajtani különböző klinikai helyzetekben, és hogyan lehet azt a szakirodalom által is alátámasztani. A véletlen fogvesztés gyakoribb a fiatalabbaknál, mint a felnőtteknél. A hiányzó fog/fogak implantátummal történő kezelése felnőtteknél kiváló és kiszámítható módszer, de ellenjavallt növekvő egyéneknél, mivel nem biztosítja az alveoláris gerinc további növekedését függőlegesen, ahogyan a természetes fogazat hajlamos erre. A növésben lévő páciensek hiányzó metszőfogaival kapcsolatos követéses vizsgálatok azt mutatták, hogy hosszú távon a protetikai rehabilitáció volt a legkevésbé kívánatos kezelési lehetőség a fogszabályozással és az autotranszplantációval szemben. A sikeres implantációs eljárás elvégzése károsodott fogüreg esetén még legtapasztaltabb klinikusok számára is nagy kihívást jelentő feladat, illetve felnőtteknél jelentős csontveszteséggel és/vagy sinuslift beavatkozással jár. A rendelkezésre álló friss üreg vagy csontmagasság/szélesség gyors és kiszámíthatóvá teszi az eljárást. Másrészt, ha lágy- és keményszövethiány van, az autotranszplantáció előnyös lehet az implantátumokkal szemben, főként a „”PDL ‚’ csontinduktív potenciál és a lágyszövetekkel való optimális biológiai kölcsönhatás miatt.

12.30–14.00 Ebédszünet

14.00–15.30 Dr. Giovanni Olivi (Olaszország): Innovatív endodoncia lökéshullámokkal erősített emissziós fotoakusztikus áramoltatás használatával

„Az elmúlt 20 évben az endodontia területén a technológiák vulkanikus kitörése volt tapasztalható. A NiTi formázó reszelő kifejlesztése, a biokompatibilis anyagok debütálása, a CBCT megjelenése a jobb diagnosztika érdekében. Ezek a minimálisan invazív technológiák elősegítik a fogszerkezet maximális megőrzését, de egy régi, Herbert Schilder által megfogalmazott aforizma szerint az endodontiai terápia sikere szempontjából fontosabb, hogy „”mit távolítunk el””, mint hogy „”mit viszünk be”” a csatornarendszerbe. Ebből a szempontból a lézerrel aktivált irrigálás, pontosabban a SWEEPS technológia áttörést jelent a gyökércsatorna-rendszer 3D-s tisztítására és fertőtlenítésére. A fotoakusztikus technológiát az endodonciában általánosan használt irrigálószerek (NaOCl és EDTA) aktiválására használják, és nem helyettesíti a hagyományos műszeres kezelést. Az első SSP technológiát (single super short pulse) és a SWEEPS technológiát (dual ultra rövid impulzus) ma már számos publikált és nem publikált kísérlet és adat igazolja. Nagy sebességű, 100 000 képkockás videókon bemutatjuk az innovatív kettős impulzuslézer-kibocsátást endodontiai környezetben. Scanning Electron Microscopy és CT képalkotás segítségével értékelték a szövetek feloldódását, a tisztítást, a kenetréteg és az endodontikus tömőanyag eltávolítását az endodontikus térből. Bakteriológiai vizsgálatokat, valamint konfokális elemzést végeztünk e technikák dekontamináló hatásának értékelésére. Az előadás áttekintést nyújt a klinikai alkalmazás mögött álló tudományos koncepciókról, és egy sor klinikai esetet tárgyal.

Az előadás céljai:

- Az endodontiai irrigálás jelentőségének megértése az endodontia területén;

- megérteni a hagyományos rendszerek endodontiai irrigálásra történő alkalmazásának korlátait;

- a szonikus, ultrahangos, multisonikus és lézerrel aktivált irrigálás közötti különbség megértése;

- a SWEEPS technológia fő előnyeinek megértése a gyökércsatorna-öblítésben;

- a NaOCl és az EDTA különböző szerepének és időzítésének megértése a gyökérkezelés különböző lépései során;

- a lézer hatékony és biztonságos endodontiai használatára vonatkozó tippek és trükkök elsajátítása.

15.30–17.00 Dr. Nuno Pinto (Portugália): A reciproc fájlok fejlődése

Kétségtelenül előrelépés volt a tisztítás és a formázás fejlődésében, az egységes reciproc fájl megjelenése új távlatokat nyitott a fogalmak tekintetében. Feltétlen híve vagyok a reciproknak, mert biztonságosabbnak és egyszerűbbnek tartom, szakértők és kezdők egyaránt használhatják, és lényegében nagy előnyét látom az egyetlen fájlnak és az egyszeri használatnak. E rendszer fejlődése nélkül még mindig kevésbé invazív fájlokat hoznánk létre. Mindannyian tudjuk, hogy egy reciproc fájlnak mindig követnie kell bizonyos követelményeket a minőség és a megbízhatóság fenntartása érdekében, és ez volt a nagy nehézség ennek az új fájlnak a létrehozásában is, azonban sikerült hozzáadni a reciproc fájlok minden megbízhatóságát. A Flatside bevezetése és az alacsonyobb kúp számos előnyt biztosít ennek a fájlnak a versenytársakkal szemben. A Flash a Bondent által kifejlesztett új reciproc fájl, amely előrelépést jelent a tisztítási és formázási eljárás terén.

23

Endodontia Kongresszus

2023. október 14., szombat

09.50–10.00 Dr. Benyőcs Gergely: Megnyitó

10.00–11.30 Dr. Alexandru Gliga (Románia): Komplex klinikai endodontiai esetek kezelése

Ez az előadás a legfontosabb endodontiai témákat fogja érinteni, mint: Diagnosztikai módszerek; Hozzáférési üregek endodontiai retorzióban; A műszerek kiválasztása; Obturációs technikák - (reciprok mozgás); Az endodontiai rendszer fertőtlenítése; Fém- és üvegszálas csapok eltávolítása; Az apikális ⅓ mechanikai előkészítése; A munkahossz meghatározása endodontiai retorzióban.

11.30–12.30 Dr. Agnieszka Pacyk (Lengyelország): A lokális dentális érzéstelenítés 7 veszélye az endodontiai kezelés során

Az endodontiai kezelés során jelentkező fájdalom megelőzése minden beteg számára kiemelkedően fontos. Manapság a betegek minden eddiginél jobban elvárják a biztonságos, hatékony és egy látogatással járó kezelést. Az előadás során a fájdalommentes és biztonságos érzéstelenítés szabályai kerülnek bemutatásra. Az egyik legnagyobb kihívást jelentő klinikai helyzet a pulpitis, és ilyenkor fontos ismerni a hatékony helyi érzéstelenítés legjobb stratégiáit. Ezen túlmenően az előadás bemutatja a helyi érzéstelenítők és eszközök kiválasztásának és használatának legjobb módjait, hogy megvédjük a betegeket a szövődményektől, magunkat pedig a komplikációktól.

12.30–14.00 Ebédszünet

14.00–15.15 Dr. Michał Ganowicz (Lengyelország): A fogak biológiai kezelése –a bioaktív

cementek szinte minden indikációja

Mély üreg készítésekor elgondolkodik azon, hogy milyen mélyre lehet fúrni? Mennyi demineralizált dentint lehet biztonságosan eltávolítani? Aggódik-e amiatt, hogy feltárja a pulpát, és gyökérkezelést kell végeznie? Vagy esetleg szeretné növelni a gyökérkezelés hatékonyságát? Szeretné látni, hogy az olyan szövődmények, mint például a csatorna perforációja kezelhető-e? Ha igen, akkor várom Önt előadásomra, ahol a bioaktív cementek meglepő tulajdonságairól fogok beszélni a szuvasodás, a fogpulpa és a periapikális szövetek kezelésében. Látni fogja, hogyan használható a Bioroot RCS és a Biodentine a mindennapi gyakorlatban. Megtudhatja, hogy egy adott helyzetben melyik anyagot válassza. Megmutatom Önnek a mély szuvasodás kezelésére szolgáló egyszerű eljárásokat, az egyszeri látogatással végzett gyökérkezeléseket, valamint a gyökércsatornákban lévő perforációk és széles fiziológiás foramenek kezelését.

15.15–16.30 Dr. Aleksandra Palatyńska-Ulatowska (Lengyelország): A minimálisan invazív endodontia technológia fejlődésének klinikai következményei

A minimálisan invazív endodontia a minimálisan invazív fogászat (MID) világméretű trendjéből ered. A definíciója magában foglalja az endodontiai kezelés minden olyan technikáját, amely megakadályozza vagy megállítja a betegség kialakulását a fog kemény és periapikális szöveteiben, egyidejűleg a fog funkcionális és esztétikai szempontból szerves fogszerkezetének minimális elvesztése mellett.

A gyors technológiai fejlődés új megoldásokat hoz a fogászatban, és nagy hatással van az endodontiai páciensekkel kapcsolatos munkafolyamat klinikai szempontjaira. A gyökérkezelési eljárásoknak hatékonyak és kiszámíthatóak legyenek, ugyanakkor egyszerűbbek, gyorsabbak és kevésbé fájdalmasak. A új minőségű, kifejezetten a modern endodontiai rotációs reszelőrendszerekhez tervezett ötvözetek, az új irrigációs technikák, a biokerámiák és az igazított szintetikus guttapercha alkalmazása támogatják a minimálisan invazív fogászat koncepcióját. Mindezek az eszközök segítik a klinikusokat abban, hogy növeljék a sikerességi arányt. Milyen klinikai protokollok kötelezőek e cél gyakorlati eléréséhez? A gyökércsatorna tér megfelelő tisztításának, alakításának és fertőtlenítésének, valamint az azt követő obturációnak és a post-endo rekonstrukciónak az elvei kerülnek megvitatásra. Az új koncepciók, pl. a Triple lockTM megoldások bemutatása, valamint a legújabb generációs technikák és eszközök ismertetése a célja ennek az előadásnak.

23

STRAUMANN® BLX IMPLANT SYSTEM

Confidence beyond Immediacy.

System overview

Workshop program

Bioarchitektúra –technika a molárisokhoz

2023. október 12., csütörtök

Tippek & trükkök – egy módszer, mellyel gyorsan és esztétikafunkció helyesen tudunk molárisokat restaurálni

A cél, hogy megértsük és elsajátítsuk e módszer protokollját lépésről lépésre

1. ELMÉLET FOGORVOSOK ÉS FOGTECHNIKUSOK részére

- Szín elmélet – mit nézzünk és hogy reprodukáljuk

- A molárisok morfológiai elemei – a dentinmag formája

- Anyag- és technikaválasztás az eset függvényében

- A felszíni textúra fontossága

- A kor és a fog funkciójának jelentősége

- A polírozás, finírozás jelentősége a hosszú távú sikeresség érdekében.

2. GYAKORLATI RÉSZ (FOGORVOSOK & FOGTECHNIKUSOK)

A 16-os és 24-es fog felépítése lépésről lépésre – két módon

Nagyon fontos, hogy a feladat megoldásához a megfelelő anyagot és a hozzáillő megismételhető technikát alkalmazzuk a hosszú távú, előre megjósolható eredmény érdekében. Az optikai effektusokat figyelembe véve főleg a belső és külső morfológia szabályait követve érhetjük el a kivánt esztétikát és a funkcionális egyensúlyt. A restaurációhoz használt anyag ismerete és a felépítendő fog minden egyes elemének kódolása teszi lehetővé az ideális eredmény gyors elérését.

Cél: a felépítendő természetes fog morfológiai analízise biomechanikai és dentalis harmóniai szempontból.

Olyan rétegzési technika elsajátítása, amely a belső elemek helyes elhelyezésén keresztül vezet gyors felépítéshez.

Egyszerűsített rétegzés

– Biodinamikai analízis – Funkcióanalízis

– Biokonstrukció a belső elemek felépítésén keresztül – „kúp technika” kompozittal

– Két moláris fog, 16-os és 24-es felépítése – a belső elemek orientációja – A belső elemek rétegzése

– Biomechanikai szabályok a dentinmag orientációja tekintetében

– A sulcus kialakítása

– A kompozitfelszín kezelése – polírozási protokoll

Részvételi díj: 80 000 Ft (elővételben)

Jelentkezés: dentalworld.hu

23
Danielle Rondoni

ENAMEL PLUS HRi BIO FUNCTION

ÚJ BIOKOMPATIBILIS KOMPOZIT

DOESNOT CONTAINBISPH

> Nagyfokú biokpmpatibilitás: nem tartalmaz

Bis-GMA-t és szabad nanopartikulát

> A természetes zománccal megegyező abrázió

> Mechanikai és funkcionális jellemzői megegyeznek az arannyal

> Könnyű kezelhetőség és ideális polírozhatóság

> Egyaránt alkalmas direkt és indirekt felhasználásra

> Röntgenárnyékot ad

> Fluoridot tartalmaz

®

bpafree
E N LOA BISGMA FREE
Cím: 1123 Budapest, Alkotás u. 15. 4. em. 4. • Tel: (06-1) 201-7103 Mobil: (+36-30) 957-0500 • E-mail: csk@densalba.hu
Clinical case by Dr. Lorenzo Vanini
dens.Alba NOVA
Esztétikus megoldás bármilyen restaurációhoz!

Páciensélmény-tervezés a fogászati praxisban

2023. október 13., péntek 9.00-12.30

Tudta, hogy a páciens már akkor élményeket gyűjt a fogászati praxisról, amikor még az orvos nem is tud a létezéséről? A bejelentkezés előtt keres, mérlegel és dönt az adott fogászat mellett. Hogyan tudjuk ezt úgy befolyásolni, hogy minket válasszon? Az egészségügyi marketing legfontosabb módszertana a páciensélmény-tervezés lett, mert az értékteremtés és élménynyújtás az, amely megkülönbözteti az egyik fogászati praxist a másiktól. Közösen végigmegyünk a páciensút-készítés és páciensélmény-tervezés minden apró lépésén.

Részvételi díj: 49 900 Ft+áfa

Jelentkezés: www.flexi-dent.hu/trening

Hogyan tudjuk meggyőzni pácienseinket a komplett rehabilitációról a minimál beavatkozás helyett?

2023. október 13., péntek 9.00-12.30

Különösen ajánlott pályakezdő orvosok számára

Részvételi díj: 49 900 Ft+áfa

Jelentkezés: www.flexi-dent.hu/trening

Hogyan toborozzunk új munkatársakat és tartsuk meg őket?

2023. október 13., péntek 13.00-16.30

Előadó: Kluka Attila

Orvos- és asszisztenstoborzás. Az értékes munkaerő, avagy a dolgozók megtartásának módszerei és eszközei. Hogyan segíthet mindebben a mesterséges intelligencia?

Részvételi díj: 49 900 Ft+áfa

Jelentkezés: www.flexi-dent.hu/trening

Recepciósképzés 3.0 – avagy régi eszközökkel nem nézhetünk

szembe az új kihívásokkal

2023. október 14., szombat 09.00-16.00

Előadó: Kluka Attila

Nemzetközi trendek és mesterséges intelligencia a recepción a páciensek magasabb szintű kiszolgálásának érdekében. Orvos- és asszisztenstoborzás. Az értékes munkaerő, avagy a dolgozók megtartásának módszerei és eszközei. Hogyan segíthet mindebben a mesterséges intelligencia?

Részvételi díj: 74 900 Ft+áfa

Jelentkezés: www.flexi-dent.hu/trening

Mennyit fizessek az asszisztensnek, mi marad nekem? – bizalmi workshop iparági átlagokról rendelőtulajdonosoknak!

2023. október 13., péntek 13.00-16.30

Hogy állok a többiekhez képest? Ti mennyit fizettek az asszisztenseknek? És az orvosoknak? A workshopon egy alapvető bevételszerkezet és költségszerkezet áttekintést követően megbeszéljük, hogy a résztvevők közül ki milyen mértékben tér el az iparági átlagoktól. Megtudhatod, mások hogy csinálják, kinek milyen arányokat képviselnek a különböző kiadások és ki hogyan tudja maximalizálni a bevételeit. Egy egyedi, korábban még nem létező kiscsoportos workshop, ahol az interaktív prezentációs technikának köszönhetően úgy osztjuk meg egymással a tudást, hogy mindeközben senki sem adja ki a titkait.

Részvételi díj: 49 900 Ft+áfa

Jelentkezés: www.flexi-dent.hu/trening

23
Workshop programok
Horváth Krisztina Máté Zoltán Kluka Attila

Workshop programok

2023 leghatékonyabb fogászati marketingeszközei és kampányai

2023. október 14., szombat 09.00-12.30

A fogászati páciensúton végighaladva, annak megfelelően éppen melyik fázisban tart a potenciális páciens, sorba vesszük az összes lehetséges működő, eredményt hozó marketingeszközt. Minden egyes páciensút szakaszhoz hozok konkrét megoldási javaslatot, kampánytervet. Ezek eredményességét konkrét eseteken keresztül bemutatom, elemzem és közösen kiértékeljük. A workshopot követően már csak a megvalósítás vár a praxis vezetőjére, de ha szeretné, ebben is tudunk segíteni. Jelentkezzen a workshopra és küldje el előre kérdéseit, akár anonim módon: horvath.krisztina@positive.hu Garantáltan válaszolok minden beérkező kérdésre!

Részvételi díj: 49 900 Ft+áfa

Jelentkezés: www.flexi-dent.hu/trening

Az egészséges árak kialakítása

2023. október 14., szombat 13.00-16.30

Kapott excelek és kalkulátorok segítségével, az iránymutatásaink alapján, ott helyben ki tudod alakítani a megfelelő árazási stratégiádat. 100% gyakorlat és egy hatalmas mankó a kezedben! Te mi alapján határozod meg az áraidat? Szétnézel, hogy a környéken melyik rendelő milyen árszabással dolgozik? Vagy érzésre emelsz ezen a szolgáltatáson egy picit, a másikon többet? Az árazás kérdése sokkal komplexebb ennél, főleg a jelenlegi gazdasági helyzetben. Az anyagok ára hirtelen megnőtt, a munkatársak egyre magasabb bért szeretnének és arra döbbensz rá, hogy „egyre kevésbé jön ki a matek” és mindenki jól jár a rendelőd szolgáltatásaival, csak pont Te nem. Ennek vetünk véget és vezetünk végig az úton, hogy miként hozz megalapozott, tudatos döntést, és alakítsd ki úgy az áraidat, hogy az Neked is megérje. A képzés során a metodikához és áraid folyamatos felülvizsgálatához a szoftveres segítséget is bemutatjuk.

Részvételi díj: 49 900 Ft+áfa

Jelentkezés: www.flexi-dent.hu/trening

Modern endodonciai kezelések a gyakorlatban: a gépi tágítástól a guttapercha-pisztolyokig 2023. október 14., szombat

Bevezetés

Az endodonciai eszközök fejlődése nagyon intenzív, sokszor követni sem tudjuk mi az újdonság. Megveszünk egy endomotort, csilli-villi funkciókkal, aztán mégis csak úgy használjuk, mint az előzőt (rosszabb esetben helytelenül is). A fiók mélyére süppedhet egy ultrahangos aktivátor, heatplugger vagy guttapercha-pisztoly is, pedig a megfelelő knowhow birtokában biztonságosabbá, gyorsabbá, kiszámíthatóbbá teszik a munkánkat. Ezen a tanfolyamon nem csak beszélünk ezekről a technológiákról, hanem lehetőséget adunk arra, hogy résztvevőink kipróbálják magukat a gyakorlatban is!

Mi fog történni a tanfolyamon?

A képzés során a résztvevők megismerkednek a különböző anatómiájú fogak ellátásának tervezésével és kezelési stratégiáival. Megvitatásra kerülnek a gyökérkezelések buktatói is. Bemutatásra kerülnek a modern endodonciai kezelések eszközei: modern gépi tűk, új generációs endomotorok, ultrahangos aktivátorok, heatpluggerek és guttapercha-pisztolyok, valamint a diagnosztikai eszközök: CBCT a tervezéshez, kézi röntgen a gyors tűskontrollhoz. A gyakorlati szegmensben modellen próbálhatják ki a résztvevők a helyes tágítás, tisztítás és gyökértömés gyakorlatát, melyhez használni fogják a megismertetett eszközöket.

A tanfolyamon elsajátítható ismeretek

• Endodonciai kezelési stratégiák

• A különböző endo file-ok használata, anyaga és indikációi

• Az endomotorok funkcióinak megismerése: reciprokálás, ATC, apexlokátor és az apikális referenciapont funkció használata a még biztonságosabb tágításért

• Kémiai tágítás, avagy az átöblítési protokoll rejtelmei

• Ultrahang az endodonciában: aktivátorok működése és haszna, a leggyakoribb hibák elkerülése

• Gyökércsatornák lezárásának technikái

• Az intelligens heatpluggerek használata

• Gyors befejezés guttapercha-pisztolyokkal

Részvételi díj: 45 000 Ft • Kredit: Utóakkreditáció alatt • Jelentkezés: volomshop.com

23
Horváth Krisztina Máté Zoltán Dr. Mekis Miklós
ARANY MUNKÁIT RENDELJE MEG A SCHULZE LABORTÓL! Több mint 100 éves tapasztalat! INLAY, ONLAY ARANY KERÁMIA ARANY LEMEZ ARANY KOMBINÁLT MUNKA LEMEZ ARANYOZÁS GALVÁN MUNKÁK KESZÍTÉSE ELÉRHETŐSÉG: +36 20 366 10 80 schulzefogtechnika@gmail.com Dolgozz velünk digitálisan ! Minden ami virtuális tervezés Küldje el a lenyomtatot akár intraoral scan formájában és mi megtervezzük illetve legyártjuk a kívánt fogpótlást ! Minden ami 3D nyomtatás CoCr és Ti 3D nyomtatása Teljeskörű support Precíziós utómunkálat Több mint 30 éves szakmai tapasztalat Az általunk vagy az Ön által tervezett vázakat, lemezeket 3D nyomtatással készítjük el ! Minőség, pontosság, szakértelem. A fogtechnikai újdonságok úttörői ! www dentarttechnik hu labor@dentarttechnik.hu +36 30 682 3827 labor@dentarttechnik.hu dentarttechnik cirkónium-dioxid, PEEK, lítium-diszilikát, PMMA, kompozit

Workshop programok 23

Bioclear Modern Anterior Kompozit Technikák dr. Arthur Volkerrel

2023. október 13., péntek

Injection molding a szép, egyszerű és megbízható diasztéma-zárásokhoz és Class II tömésekhez. A Bioclear világelső matricáinak bevezetése alkalmából különleges hands-on tréninggel készülünk a Dental World-ön: Dr. Volker segítségével a résztvevők elsajátíthatják a modern „fröccsöntéses” töméstechnika alapjait és megtanulhatják, hogyan válasszanak helyesen Bioclear matricákat. Kuriózum, és először Magyarországon!

Miért érdemes részt venni a tanfolyamon?

Tömérdek tömőanyag és matrica van ma a piacon – nehéz a rengetegükben kiigazodni. Ezen a képzésen a résztvevők elsajátíthatják a forradalmian új megközelítést hozó Bioclear Method „fröccsöntéses” töméstechnikáját, mellyel egyszerűen és kiszámíthatóan kezelhetnek olyan gyakran előforduló (mégis sokszor problémát okozó) klinikai eseteket, mint a diasztéma-zárás, valamint a Class II tömések. Szerkesztői megjegyzés: Dr. Volker nagy visszatérőnk, kiváló esztétikai fogorvos – a Dental Worldre először a 2000-es évek közepén, még Cosmedent előadóként hívtuk meg

A tanfolyamon elsajátítható ismeretek

• A különböző kompozitok hasznosságának megállapítása, a helyes matricaválasztás alapvetései

• Rendszerszerű előkészítési protokollok (izoláció, speciális homokfúvás) szuvas és nem szuvas restaurációk esetében

• A különböző direkt kompozit tömési technikák összehasonlítása

• A Bioclear rendszer és használata (injection molding)

• Helyes polírozási technika

Részvételi díj: 150 000 Ft • Kredit: Utóakkreditáció alatt • Jelentkezés: volomshop.com

Espresso Anterior

2023. október 14., szombat 10.00–12.00

Az egyszerűség a végső kifinomultság. Annak érdekében, hogy eredményként tökéletes anterior kompozitot kapjunk, a héjpreparációnál több száz tippre és trükkre bukkantunk, hogy a mindennapi feladatokat egyszerűen, a legjobb minőség feladása nélkül oldjuk meg. Ezen a kurzuson áttekintjük a modellezés lépéseit, mint az időmegtakarítás és a kompozitanyag minőségének javítási módjait, és beleássuk magunkat a forma és a szín elemeibe, ami a tökéletes restauráció egyik leghatásosabb eszköze.

Ennek a tanfolyamnak az a fő célja, hogy a gyakorló fogorvos hasznos technikákat tanuljon, amelyeket a tanfolyam után azonnal alkalmazhat a mindennapi fogászatban, hogy növelje munkája minőségét, különösen a funkció és az esztétika tekintetében, de mindig egyszerű módon.

- Legyen rendkívül hatékony a színegyeztetésben

- Sajátítsa el a kompozitgyanták rétegzését

- Gyors és szép restaurációk modellezése

- Morfológia

- Ismerje meg, hogy maximalizálhatja az adhezív fogászat élettartamát

Részvételi díj: 55 000 Ft

Jelentkezés: dentalworld.hu

Dr. Arthur Volker Dr. Jordi Manauta

Teljes szájrehabilitáció 72 óraalatt

▶ Egyfázisútechnika

▶ Azonnaliterhelésesprotokoll

▶ Egyedülállóprimerstabilitás

▶ Azegyetlentökéletesimplantátum-felépítmény „kapcsolat”–nincsmikromozgás

▶ Polírozottfelszín–nincstöbbéperiimplantitis

▶ Csontpótlásmentes,apáciensszámáraisigazán egyszerű,gyors, költséghatékonyimplantológia*

*Aköltséghatékonyság aztfejeziki,hogyazonoshatásosság(eredményesség)milyenköltséggel(ráfordítással) érhetőel.Aleginkábbköltséghatékonyazazeljárás,technológia,amelyikalegkisebbráfordítássalalegnagyobb eredménytériel.Azaz egészségügyitechnológia tekinthetőköltséghatékonynak,amelyazakárszűkösenrendelkezésreállóerőforrásokbólalehetőlegtöbb egészség-nyereséget termeli,illetveaztalegkisebberőforrás felhasználássalállítjaaztelő. (Azegészségügyifogalomtáralapján.)

sofortimplant sofortimplant sofortimplant ihdedental SofortimplantKft. | H–9400Sopron,Deákkútiút16. | +36703640600 info@sofortimplant.com | sofortimplant.com
KIZÁRÓLAGOS MAGYARORSZÁGI FORGALMAZÓ alphaimplant.hu powered by TM Launch!
Immediacy
Empowering Predictability and Performance in

Turn static files into dynamic content formats.

Create a flipbook
Issuu converts static files into: digital portfolios, online yearbooks, online catalogs, digital photo albums and more. Sign up and create your flipbook.