Dental World 2023/3 - e-journal

Page 1

XXIII. Dental World Nemzetközi Fogászati Kiállítás & Konferencia 2023. október 12–13–14. Budapest, Hungexpo Orthodontia Kongresszus dentalworld.hu e-Journal 23
YOUR WORLDWIDE NO.1 REFERENCE UNIQUE BIOFUNCTIONALITY OUTSTANDING QUALITY 1,2 > Strictly controlled raw material selection > Cutting-edge production > Quality management of the final product References ISO 13485 certificate, research and development 2 ISO 9001 certificate, multi site quality management www.geistlich-pharma.com/en/about-us/geistlich/ about-geistlich/quality/ FROM
THE
PRODUCT KNOWLEDGE IS IN OUR HANDS alphaimplant.hu More details about our products: www.geistlich-biomaterials.com
A TO Z:
WHOLE

Tisztelt Olvasó!

Amikor e magazint a kezébe veszi – és reményeink szerint majd át is tanulmányozza az oldalait –, már alig másfél hónap van hátra a 23. Dental World megnyitásáig. Az őszi hónapok szinte mindenki számára sok feladattal járó időszakot jelentenek, jó előre megtervezni ezeket, illetve a legfontosabb teendőinket. Célunk idén is olyan rendezvénnyel várni Önt/ Önöket, olyan érdekes és tartalmas eseményekkel, hogy már az év első felében bejegyzésre kerüljön a naptárjaikba: 2023. október 12–13–14., azaz Dental World!

A nyár folyamán megjelent Dental World Programfüzetünkben már részletesen ismertettük a rendezvény három napjának eseményeit, előadásait, és bemutattuk a hozzánk érkező előadókat, röviden ismertetve életútjuk fontosabb állomásait, kutatásaikat, bepillantva gyógyító munkájuk eredményeibe is.

A „Dental World e-Journal 2023” kiadványunk összeállításával az a célunk, hogy még részletesebb, még körültekintőbb és pontosabb tájékoztatást adjunk a konferenciáink előadóiról, illetve az általuk készített és most közölt szakmai cikkeik elolvasása mindenkinek segítsen abban is, hogy eldönthesse, melyik napon melyik téma lesz számára a legérdekesebb és a leghasznosabb.

A három nap során több mint 20 országból érkező és hazai előadó közel 100 előadással várja majd Önt/Önöket, ahol hallhatnak pl. az implantológiai kutatások legfrissebb eredményeiről, a konzerváló fogászat, az orthodontia, az esztétika, az endodontia, a dentoalveoláris sebészet, a prevenció és a fogtechnika időszerű kérdéseiről, a legkorszerűbb módszerek alkalmazásának újdonságairól. Bízunk abban, hogy a kongresszusokon elhangzó előadások upgrade ismeretekhez és felhasználható tudáshoz juttatják majd Önt/Önöket, továbbá a kiállításon a szakma idei nóvumaival, a legújabb fejlesztésekkel és eszközeivel is megismerkedhetnek, esetleg ki is próbálhatják azokat! A kiállítótérben az eddigieknél még változatosabb, színesebb bemutatókkal, versenyekkel és élő műtétekkel is várjuk Önöket.

A szervezők nagyon örülnének, ha minél többen részesei lennének e rendezvénynek, ezért most kedvezményes jegy vásárlására is ösztönözzük a csatlakozni vágyókat.

„Három nap a fogászat szolgálatában” – a 23 évvel ezelőtt megfogalmazott mottónkat felidézve a szervezők és a rendezők nevében arra készülünk és reméljük, hogy a 2023-as Dental World is a fogászat emlékezetes és sikeres „nagy találkozója” lesz!

Legyen Ön is részese a fogászati világ budapesti „seregszemléjének”,  várjuk szeretettel!

23
LACZKÓ TAMÁS főszervező

Általános információk

Kiállítás helyszíne

Hungexpo Vásárközpont, 1101 Budapest, Albertirsai út 10. „A” pavilon

Kiállítás nyitvatartása

2023. október 12–13., csütörtök, péntek: 08.30–18.00 2023. október 14., szombat: 08.30–17.00

A háromnapos rendezvény alatt közel 250 szakkiállító várja az érdeklődőket, a kiállítás megtekintése díjmentes, de regisztrációköteles.

Kongresszusi regisztráció

2023. október 12–13–14. reggel 8 órától

A regisztráció a szakmai programokra kötelező. A regisztráció a Hungexpo „A" pavilon bejáratánál található. Regisztrációs kártyáját be- és kilépéskor kérjük, egyaránt érvényesítse! (Kérjük, a tanfolyamokra történt befizetést igazoló csekkszelvényét, banki átutalási bizonylatát mindenképp hozza magával!)

Kreditpont

*A három napos kongresszusok programjainak összpontértéke: 24, napi pontérték: 8

A tanfolyamok a szakma szerinti kategóriába tartoznak (szakképesítések, amelyekhez szakma szerinti pontszámként elszámolható: 1. arc-állcsont-szájsebészet, 2. dento-alveoláris sebészet, 3. fogszabályozás [fogorvos], 4. konzerváló fogászat és fogpótlástan), vizsga nincs, a kreditpontigazolást a rendezvényt követően küldjük el. A szakmai programokban a változtatás jogát fenntartjuk.

Workshop

A tudományos programok mellett megrendezésre kerülő workshopok és gyakorlati kurzusok termei az „A" pavilon galériáján találhatók, melyeket a helyszínen irányítótáblákkal jelölünk.

Megközelítés, parkolás

A parkolás a konferencia résztvevői és a látogatók számára ingyenes, behajtás gépjárművel a 4-es kapunál lehetséges. A környező utcákban díjmentes parkolási övezet található.

A rendezvény megközelíthető tömegközlekedéssel is:

Az Örs vezér tere metrómegálló és a Hungexpo vásárváros között a rendezvény napjain is közlekedik a 10-es autóbusz. Az M2-es metró Pillangó utcai állomásától a Hungexpo vásárváros főbejárata körülbelül 15 perces sétával elérhető. A Blaha Lujza téri metrómegálló közeléből, a Népszínház utcai végállomásról induló 37-es, illetve 37A villamosok Kőbánya felső vasútállomás megállóhelyétől a Hungexpo vásárváros III. kapuja – a vasútállomás alatti aluljárón át – 6-7 perces sétával elérhető.

Impresszum

Szervező és kiadó: Event Organizer Hungary Kft. 1012 Budapest, Kuny Domokos u. 9. tel.: 06-30-472-0030, info@dentalworld.hu www.dentalworld.hu

Felelős kiadó: Laczkó Tamás

Szerkesztés: Event Organizer Hungary Kft. –Sárközi András

LAST MINUTE kedvezmény Szeptember 30-ig!
*

Dental World Kongresszusok

3 napos konferenciák: ESZTÉTIKA • ENDODONTIA

ORTHODONTIA • IMPLANTOLÓGIA

KONGRESSZUSI JEGYÁRAK

1 VÁLASZTOTT KONGRESSZUS: esztétika / implantológia / endodontia / orthodontia

ALL ACCESS mind a 4 témakörű kongresszusra belépést biztosít

Digitális Fogászat Kongresszus:

30 000 Ft (teljes ár: 50 000 Ft)

Prevenciós, Földvári Imre Kongresszus: 22 000 Ft (teljes ár: 28 000 Ft)

Praxismenedzsment Kongresszus: 34 990 Ft (teljes ár: 49 900 Ft)

Jelentkezzen most!

DENTALWORLD.HU

Dental World

Nemzetközi Fogászati

Szakkiállítás és Konferencia 2023. október 12–13–14.

KEDVEZMÉNYES ÁRAK HATÁRIDEJE LAST MINUTE 2023. 09. 30-ig 90 000 Ft 135 000 Ft TELJES ÁR 2023. 10. 01-től 100 000 Ft 150 000 Ft
23

Open Dental Academy

Live Dental Show

2023-ban is a Dental World egyik kiemelkedő rendezvénye lesz az Implantológia Show az „Élő műtétek” bemutatásával. Jövőre is az üvegfalú „látványműtőben” felkért orvosok végzik majd egy-egy páciens nyilvános kezelését. A rutinszerűen alkalmazott műtéti technikák mellett új eljárásokat is bemutatnak az implantológia repertoárjából.

Fogorvos/fogtechnikus tanulóverseny

Az orvosi verseny résztvevői az ország négy, fogorvosi képzést nyújtó egyeteméről érkeznek, ahol belső versenyeken választják ki azt az egyetemenként 3-3 indulót, akik a Dental World-ön mérik össze tudásukat. Minden versenyző ötödéves egyetemi hallgató, és nyereményük többek közt egy út Leuven-be, a GC központjába. A fogtechnikus-tanulók részére 2023-ban már 12. alkalommal megrendezésre kerülő Győztesek Versenyére a Protetika Verseny győztese, az Országos Mintázó Verseny legjobbjai és az Ipartestület által rendezett Kerámiás Verseny helyezettjei kapnak személyes meghívást. A 12 magyar tanuló számára az idei évben is nagy kihívás a szakma egésze előtt a Dental World szakkiállításon bemutatni képességeiket, szakmai elhivatottságukat.

Demo Stage

2023-ban ismét a kiállítótér sugárútján kap helyet a Live Demo.

4 különböző programot szervezünk az alábbi témakörökben:

• Endodontia & Esztétika

• MicroWorld & Lézer

• Fogtechnika

• Oralszkenner

AlphaBio Buborék bár

Flexi kávézó

Dental Lounge

Várjuk szeretettel 2023-ban is!

Az Open Dental Academy programja minden látogató számára díjmentesen megtekinthető.
www.shop.realtrade.hu További információ: +36 1 261 6630
Színadaptív fényre keményedő kompozit ragasztócement
ÚJDONSÁG

A Dental World tudományos

Dr. Volom András Dr. Gombos Ádám Dr. Benyőcs Gergely Dr. Németh Zsolt Dr. Sidó Levente Dr. Nagy Zsolt Friss Tamás Dr. Borbély Péter Dr. Radánovics-Nagy Dániel
kongresszusainak programfelelősei Esztétika Kongresszus Endodontia Kongresszus Implantológia Kongresszus Orthodontia Kongresszus
Fogászati Kongresszus Praxismenedzsment Kongresszus Prevenciós Kongresszus
Digitális

A 10 éves Alpha Implant Kft. a hagyományos munkafolyamatok mellett a digitális workflow minden lépésére megoldást kínál. A digitális technika fejlődése a fogászati piacon is egyre nagyobb teret hódít. Ebben nyújt

segítséget a 6 lépésből álló Alpha Digital Workflow, amely az intraorál scanneléstől a kész fogmű behelyezéséig terjed. Ne zárja magát keretek közé, lépjen az Alpha Implant Kft.-vel a Digitális Szabadság Világába!

ÜDVÖZÖLJÜK
IMPLANTÁTUM IRÁNYÍTOTT SEBÉSZET
A DIGITÁLIS SZABADSÁG VILÁGÁBAN!
INTRAORAL SCANNER
PROTETIKAI FELÉPÍTMÉNYEK +36 1 353 9090 | info@alphaimplant.hu | www.alphaimplant.hu
CIRKON TÖMB
3D NYOMTATÓ REGIONÁLIS KÉPVISELŐ:
szponzor
szponzorok
szponzorok
szponzorok Hialuronsav Az egészséges fogíny receptje Az egészséges fogíny receptje Az egész csalàd számára
Platina
Arany+
Arany
Ezüst

Gálaest

2023. október 13., péntek 19.30–01.00

Program:

19:30 kapunyitás, asztalfoglalás, welcome koktél

20:00 köszöntő, büféasztalos vacsora ínyencségekkel

20:30 revüműsor

21:30 élő koncert

23:30 funkypop & dance

Helyszín: Orfeum, a Pesti Mulató, 1073 Budapest, Erzsébet körút 43-49.

Jegyek korlátozott számban igényelhetőek! További információ: info@dentalworld.hu, www.dentalworld.hu

Több mint fogszabályozó rendszer

A Smilezor Magyarország vezető aligner rendszere. A fogszabályozók gyártása mellett teljes körű ügyfélszerzési és páciens koordinálási támogatást biztosít a partner praxisok számára.

További információkért keresd fel weboldalunkat a www.orvos.smilezor.hu-t

Találkozunk a Dental World Kiállításon!

Az elmúlt években a klinikai fényképezés nagyon fontos segédeszközzé és követelménnyé vált a megfelelő klinikai diagnózis, a kezelés tervezése és az esetek dokumentálása szempontjából a fogszabályozásban és általában a fogászatban. A digitális fényképezés széles körű elterjedése, költséghatékonysága és viszonylagos könnyű használhatósága, valamint a mosoly esztétikájának és az arc általános harmóniájának fokozott hangsúlyozása – különösen a fogszabályozásban – nagymértékben hozzájárult ahhoz, hogy a klinikai fényképezés egyre fontosabbá vált a mindennapi gyakorlatban.

23

kulcsfontosságú tényező a sikeres eredmény

eléréséhez

Dr. Daniel C Neves-szel beszélgetünk a fogorvoslás fontos kérdéseiről

Igen, egyre inkább a csapatmunka az alapja annak, hogy a lehető legjobb kezelési eredményt érjük el a pácienseink számára. Az interdiszciplináris diagnózis és kezelési terv javítja a végeredményt és elősegíti a jobb stabilitást.

Bizonyos esetek megoldásánál (pl. nyelvlökéses nyelés) logopédusok együttműködésére is számítanak?

Igen, a logopédusok nagyon fontosak nem csak a gyerekeknél, hanem a felnőtteknél is, ahol számos tényezőt kell kezelni ahhoz, hogy a kezelés stabil legyen. Sokszor a fogszabályozás önmagában megoldhatja a problémát, de rövid távon az eredményt veszélyeztethetik egyéb tényezők is.

Kinek a hatására kapcsolódott a jelenlegi kutatási területéhez?

Keresztapám – aki ma már nyugdíjas fogszabályozó Floridában –, volt az inspirációm. Az ő lépéseit követve – amikor még a fogorvosi egyetemen voltam –, látva, hogy a diagnosztikával és a kezelések tervezésével kapcsolatos tervei által hogyan alakított át mosolyokat, segített abban, hogy azt a pályát válasszam, ahol büszkén dolgozom immár több mint 25 éve.

Napjainkban a fogszabályozás nagy népszerűségnek örvend. Ön miként ítéli meg e szakterület jelentőségét?

A fogszabályozás nem csak a fogak igazítására és a mosolygásra szolgál, hanem egy hatékony interdiszciplináris eszköz, amely képes kezelni a fognövekedést, javítani a fogpótlások, az implantátumok és az összetett csontrendszeri fogdeformitások forgatókönyvét.

A szükséges és lehetséges kezelésekről ön milyen szempontok alapján dönt?

Nagyon fontos a páciens gondolkodásmódjának megértése, az elvárások kezelése, az átláthatóság, hogy mit lehet elérni, és hogyan fogjuk azt elérni. Az együttműködés kulcsfontosságú tényező a sikeres eredmény eléréséhez.

A mosolyesztétika napjainkban egyre nagyobb hangsúlyt kap a fogszabályozásban is. Ön szerint az ideális okklúzió elérése – megfelelő esztétikai eredménnyel – ,,csapatmunkát” kíván?

Mióta használja a Clear Alignereket, és mit gondol, amikor összehasonlítja az Alignereket és a hagyományos fogszabályzókat? Milyen előnyei és hátrányai vannak mindkettőnek tudományos szempontból?

25 éve használunk igazítókat, és a technológia az évek során sokat fejlődött, lehetővé téve számunkra, hogy kiszámíthatóbb eredményeket érjünk el az erők alkalmazásakor, továbbá a biomechanikánkhoz szükséges elemek kombinálásakor. A páciens kényelmesebb készüléket és nagyon jó eredményeket kap, de csak akkor, ha a gondolkodásmódja készen áll az együttműködő magatartásra.

Hogyan látja ön a fogszabályozás jövőjét? Megváltoztat mindent a mesterséges intelligencia és a digitalizáció?

A mesterséges intelligencia a mindennapi életünk számos területén megjelent már a klinikáinkon, de a diagnózis és a kezelés megtervezéséhez szükséges a mi hozzájárulásunk, és tudásunkra szerintem mindig is szükség lesz, és az érvényesülni fog.

Szabadidejében mi jelenti ön számára a kikapcsolódást, a pihenést?

Fanatikus golfrajongó vagyok, amikor csak tehetem, kint vagyok a golfpályán, ütögetem a labdákat, pihenek és élvezem a természetet. A golfnak van egy stratégiai, tervezési és koncentrációs aspektusa is, amely segít a munkámban.

Az
együttműködés

digitális fényképezés a fogszabályozásban: professzionális

fényképfelvételek a napi gyakorlatban

Dr. Shadi Samawi

Absztrakt

Az elmúlt években a klinikai fényképezés nagyon fontos segédeszközzé és követelménnyé vált a megfelelő klinikai diagnózis, a kezelés tervezése és az esetek dokumentálása szempontjából a fogszabályozásban és általában a fogászatban. A digitális fényképezés széles körű elterjedése, költséghatékonysága és viszonylagos könnyű használhatósága, valamint a mosoly esztétikájának és az arc általános harmóniájának fokozott hangsúlyozása – különösen a fogszabályozásban – nagymértékben hozzájárult ahhoz, hogy a klinikai fényképezés egyre fontosabbá vált a mindennapi gyakorlatban.

Ez a cikk áttekintést nyújt a klinikai digitális fényképezés jelentőségéről a mindennapi fogszabályozási gyakorlatban, általános leírást ad néhány releváns berendezésről, valamint ismerteti a klinikai környezetben a megfelelő minőségű fényképfelvételek elkészítésének követelményeit és legjobb gyakorlatait.

Kulcsszavak: fényképezés, digitális fényképezés, klinikai fényképezés, fogszabályozás, felvételek.

Bevezetés

A klinikai fényképezés jelentősége

Mivel a fogszabályozó közösség egyre nagyobb hangsúlyt fektet a kiegyensúlyozott arc harmóniájának és a mosoly esztétikájának elérésére pácienseink számára

– a jól beállított és funkcionális fogazat hagyományos céljai mellett –, a helyes kezeléstervezés és nyomon követés szempontjából még inkább szükségessé vált a fogszabályozó páciensekről készült megfelelő klinikai fényképfelvételek készítése. A klinikai fényképek lehetővé teszik a fogszabályozó orvos számára, hogy a kezelés tervezési szakaszában gondosan értékelje a páciens meglévő lágyszöveti mintázatát. Az ajkak morfológiája és tónusossága, a mosolyív és a metszőfogak megjelenésének mértéke mosolygáskor, valamint a mosoly általános esztétikája bármikor értékelhető különböző szögekből. Így lehetővé teszik számunkra, hogy a pácienst úgynevezett szociális környezetben tanulmányozzuk, és mindezt úgy, hogy a páciens soha nem lesz jelen. Ezek az információk nagyban segítik a fogszabályozót az egyes páciensek számára a lehető legjobb kezelési terv kidolgozásában, és a későbbi utóvizsgálatok során a változások nyomon követésében.

Mondanom sem kell, hogy mindig is szükség volt fényképfelvételekre kutatási és publikációs célokra, elő-

adások tartására és tanítási előadásokhoz. Emellett nem lehet figyelmen kívül hagyni az ilyen felvételek orvosi jogi okokból való szükségességének növekvő jelentőségét.

Ebben a digitális korban a digitális fényképezőgép a legkézenfekvőbb választás. Ennek egyik fő oka az ilyen fényképezőgépek relatív könnyű kezelhetősége, valamint a nem megfelelő képek helyben történő megismétlésének vagy törlésének lehetősége. Nem kell megvárni, amíg a film előhívásra kerül, hogy ellenőrizze a fényképeket. Bármilyen probléma azonnal és egyszerűen orvosolható. Egy másik fontos előny a „működési költségek” kérdése; a digitális fényképezőgép-készletek költséghatékonyak; megszűnik a fényképészeti film költsége, a fejlesztési költségek és a gondok, valamint megoldódik a nagyszámú betegről készült diaképek és fényképek „fizikai tárolásának” problémája (3–4. ábra). Mindössze egy egyszeri beruházásra van szükség egy megfelelő digitális fényképezőgép-készletbe, egy vagy két nagy kapacitású memóriakártyába, valamint egy számítógépbe, amely a feldolgozás, tárolás és biztonsági mentés céljából észszerű méretű merevlemezzel rendelkezik.

A digitális fényképezés egyik fő előnye, hogy a képeket feljavíthatja, azaz „utólagosan feldolgozhatja”. Még ha néhány kép még mindig nem is megfelelően van igazítva, elforgatva, vagy a szín, a fényerő, a telítettség stb. nem felel meg a szabványnak, ezeket általában viszonylag könnyen beállíthatja egy megfelelő képszerkesztő szoftverrel a számítógépén, mielőtt a képeket elmenti a páciens fájljába.

Létfontosságú azonban, hogy ne hagyjuk figyelmen kívül az ilyen javítási eljárások által felvetett etikai kérdéseket, és mint ilyen, az eredeti kép tulajdonságainak alapvető általános javításán túlmenő, ebben a cikkben leírt fotómanipuláció nem javasolt, és – mindenféleképpen – etikailag és szakmailag elfogadhatatlannak tekinthető, és végső soron jogi következményekkel járhat.

Ajánlott felszerelés

A piacon ma már többféle digitális fényképezőgép is kapható. A legtöbb ma kapható kompakt fényképezőgép, azaz „Point and Shoot” fényképezőgép elegendő képminőséggel és kifinomultsággal rendelkezik ahhoz, hogy észszerű klinikai fogászati fényképeket készítsen, bár a beépített egypontos vakuegységek korlátai miatt a jelenet megfelelő megvilágításának rovására. Eredményeik azonban gyakran nem következetesek, és túl sok időt és próbálkozást igényelnek a kívánt eredmény eléréséhez. A klinikai fényképezéshez legjob-

Klinikai

ban megfelelő és ajánlott ideális fényképezőgép-összeállítás egy digitális egylencsés tükörreflexes fényképezőgép (DSLR), megfelelő gyűrűs vakuegységgel. A minimálisan elfogadott képfelbontás, amely jó minőségű fényképeket biztosítana a képernyőn való bemutatáshoz vagy 4x6-os nyomatokhoz – ha kívánatos –, körülbelül 4 megapixel lenne. A jelenlegi fényképezőgépek azonban ennél a minimális követelménynél jóval nagyobb felbontású fényképeket tudnak készíteni, ezért általánosságban megállapítható, hogy bármely jelenlegi fényképezőgép 8 megapixeles vagy annál nagyobb felbontással több mint megfelelő lenne fogszabályozási célokra. Ez a beállítás a következő szakaszokban részletesebben ismertetésre kerül.

a) A digitális fényképezőgép

A DSLR fényképezőgépek a legtöbb fényképezőgépen manuálisan is teljes mértékben szabályozhatók a fotózás összes expozíciós paramétere, a szokásos automatikus és félautomata programok mellett. Ezért maximális rugalmasságot és testreszabhatóságot tesznek lehetővé a lehető legjobb minőségű digitális képek készítéséhez. Kiváló minőségűek, így hosszú távon is biztos befektetésnek bizonyulnának a rendelő számára. Sok DSLR fényképezőgép ma már nagy felbontású (HD) videófelvételi képességgel is rendelkezik, amely bizonyos klinikai helyzetekben hasznosnak bizonyulhat. A klinikai fényképezéshez belépőszintű DSLR fényképezőgép ajánlott, mivel ezekkel lehet a legjobb minőségű eredményeket elérni, ugyanakkor költséghatékonyabb megoldás, mint más, csúcskategóriás DSLR fényképezőgépek.

b) Az objektív

Bár a zoomobjektívek általában használhatók klinikai fényképezéshez, a javasolt objektív egy speciális makroobjektív, pl. egy 100 mm-es gyújtótávolságú makroobjektív.

Makro objektív vs. makro funkció

A makrofotózás a közeli fényképezésre utal; a klasszikus meghatározás szerint a „filmsíkra” (azaz filmre vagy digitális érzékelőre) vetített kép mérete megegyezik a tárgy méretével. A legtöbb Point-&-Shoot digitális fényképezőgép rendelkezik beépített makró funkcióval, amely valójában nagyon jó fogászati fotózási célokra. A DSLR fényképezőgéphez csatlakoztatott speciális makroobjektív azonban még jobb közeli felvételeket készít, általában nagyobb felbontással és jobb fókusszal, és messze a jobb választás.

Gyűrűs vaku vs. egypontos vaku

A legtöbb kompakt digitális fényképezőgépbe és néhány DSLR fényképezőgépbe épített egypon -

tos vaku esetenként meglehetősen jó fényeloszlást eredményezhet klinikai fényképek készítésekor, de az eredmények nagyon következetlenek, és nagyban függnek a fényképezőgép tájolásától és a klinikán már meglévő fényviszonyoktól. Gyakran előfordulnak sötét, zavaró árnyékok, amelyek elfedhetik a fontos részleteket. Ezek gyakran még képszerkesztő szoftverrel sem javíthatók ki, és rontják a kép végső minőségét, és esetleg a képből nyert információt. Ezzel szemben a dedikált gyűrűs vaku szinte minden árnyékot kiküszöböl azáltal, hogy egyenletesebb fényeloszlást biztosít az extra, és intraorális felvételek során (1. ábra), és így a kép minősége javul

Dental World Journal / Orthodontia Kongresszus 17
c) A vaku 1. ábra: Canon MR-14EX TTL makro gyűrűs vaku (Canon USA). 2. ábra: Nagy és kis kétvégű pofahúzók és közepes méretű, elülső ezüstbevonatú DentalMirror.

az általános jobb megvilágítás miatt. Ezért erősen ajánlott a gyűrűs vaku használata a fogszabályozó fényképezéshez.

d) Retraktorok

A klinikai fotózás során a legjobb eredmények elérése érdekében ajánlott két pár, változó méretű, kétvégű retraktor használata (2. ábra).

A kétvégű retraktorokból két készlet létezik; az egyik készlet mindkét végén egy normál és egy kis méretű. Ezeket elsősorban intraorális okkluzális felvételekhez (tükörfelvételekhez) használják. A másik készletnek egy keskeny és egy széles vége van a másik oldalon. Ezeket intraorális frontális és bukkális felvételekhez használják.

Bár a piacon más típusú retraktorok is kaphatók, sokan elfogadják, hogy ez a választék ideális készletet jelent a klinikai fényképezéshez, mivel nagyban megkönnyíti szinte bármilyen típusú intraorális fényképek tiszta és a lehető legnagyobb látómezővel történő készítését. A kisebb, egyrészes ortodontiai ragasztó retraktorok általában nem jó választásnak bizonyulnak ortodontiai célokra, különösen a bukkális és okkluzális felvételekhez, mivel retrakciós potenciáljuk nagyon korlátozott, és ez gyakran „fájdalmas élménynek” bizonyulhat a páciens számára.

Bölcs hosszú távú befektetés jó minőségű retraktorokat vásárolni a tartósság és megbízhatóság biztosítása érdekében, visszatérő fertőtlenítési eljárásokkal.

e) Fogászati fényképészeti tükrök

A klinikai fényképezéshez sokféle tükör használható, a homlokzati tükröktől kezdve a különböző formájú és méretű, magasan polírozott rozsdamentes acél tükrökig. A szakterület számos szaktekintélye az elölről ezüstözött tükröket ajánlja, mivel ezek nyújtják a legjobb képminőséget és fényeloszlást a többi tükröstípushoz képest. Az elülső ezüstözött tükrökkel nem keletkezik „szellemkép” vagy „kettős rétegződés”. Ezzel szemben üveg vagy hátulról bevont ezüstözött tükrök használata esetén a „szellemkép” súlyosan befolyásolhatja a kép minőségét, amely homályosságot vagy „kettős képet” eredményezhet. Emellett a fényvisszaverődés nem egyenrangú az elülső ezüstözött tükrökkel, amely végeredményként homályos, sötét képet eredményez. Ezért az elölről bevont ezüstözött tükrök használata erősen ajánlott a többi típussal szemben (2. ábra).

Általában előnyben részesítik a hosszú nyelű tükrök használatát (lásd a képet), mivel ezek lehetővé teszik a klinikus számára a jobb ellenőrzést és kezelést az okkluzális felvételek során. Az életkortól és a szájnyílás méretétől függően különböző méretű tükrök használhatók a különböző pácienseknél, a közepes méretű tükrök általában alkalmasak a legtöbb páciensnél történő használatra.

A fogantyú nélküli tükrök is sikeresen használhatók, de nehezebb kezelni őket, különösen akkor, ha a másik kezünkben egy drága digitális fényképezőgéppel zsonglőrködünk.

Fontos megemlíteni, hogy a korábban említett felszerelések – semmiképpen sem – az egyetlen ajánlott fel-

szerelés a klinikai fotózás céljaira, és nem is feltétlenül a legjobbak minden klinikus számára, és alapvető ajánlásnak tekintendők, amelyek – a szerző személyes véleménye és tapasztalata szerint – a legegyszerűbb, legköltséghatékonyabb és legkönnyebben használható felszerelést képviselik, amely a legjobb minőségű professzionális eredményeket fogja következetesen produkálni.

Hány fényképre van szükségünk?

Nincs olyan „szabványos” klinikai fényképkészlet, amely általánosan elfogadott szabályként szolgálna. Általánosan elfogadható azonban – számos gyakorló orvos véleménye alapján –, hogy egy teljes „klinikai fényképkészletnek” bármelyik fogszabályozó páciensről, a kezelés bármely szakaszában, amely lehetővé teszi a klinikus számára a maximális haszon és információ megszerzését, legalább kilenc fényképet kell tartalmaznia; négy extraorális és öt intraorális fényképet készletenként, legalább két készletet; a kezelés előtti és utáni készletet.

A klinikus azonban dönthet úgy is, hogy szükség esetén további felvételeket készít, hogy a teljes esetet részletesebben dokumentálja.

Klinikai fényképezési technika

Általános fényképezőgép-beállítások

Mint korábban említettük, a DSLR fényképezőgépek lehetővé teszik a kamera beállításainak maximális ellenőrzését és testreszabását a lehető legjobb eredmények elérése érdekében. A legtöbb esetben ajánlott a fényképezőgép tárcsáját rekeszprioritásos módra állítani (A vagy Av, a fényképezőgép márkájától függően). A rekeszprioritás mód lehetővé teszi a fotós számára, hogy szabályozza a rekeszméretet, amelyen keresztül a fény bejut az objektívbe, miközben a fényképezőgépre bízza a legjobb expozíció kiegyensúlyozását, mivel a többi változót automatikusan meghatározza. A rekesznyílást (F-számot) a legjobb F22-re vagy magasabbra állítani; ez biztosítja a nagy mélységélességet és a fókuszt a különböző extra- és intraorális felvételek során. A gyűrűs vaku használata ebben az esetben elengedhetetlen a jelenet megfelelő megvilágítása érdekében. A fényképészeti expozíciós elveket jól ismerő klinikusok választhatják a teljes manuális (M) beállítást, és saját belátásuk szerint maguk szabályozhatják az összes expozíciós változót.

Fontos megjegyezni, hogy ezek csak általános ajánlások, és a meglévő klinikai megvilágítástól és helyzettől függően még szükség lehet némi próbálkozásra és hibára.

Szájüregen kívüli klinikai fényképek Általában ezek az első és legegyszerűbb fényképek. A digitális fényképezőgép beállításán kívül a páciens és a klinikus megfelelő elhelyezésére van szükség a megfelelő sima háttér előtt. Ajánlott egyszínű fehér vagy sötétkék hátteret vagy alternatívaként egy nagy, falra szerelt fénydobozt használni a páciens feje mögött, hogy a páciens lágyrészprofilja a lehető legjob -

18 Dental World Journal / Orthodontia Kongresszus

ban kirajzolódjon, és a háttér ne vonja el a figyelmet. Az extraorális fényképek standardizálása a páciens és a kamera közötti rögzített távolság fenntartásával előnyös, mivel ez egységes nagyítási tényezőt biztosít, és professzionális megjelenést kölcsönöz a fényképeknek. Ez a háttértől rögzített, kijelölt távolságban elhelyezett állvány használatával és a padlóra a háttértől meghatározott távolságban egy vonal kijelölésével érhető el, ahol a pácienseknek fényképezés közben következetesen állniuk kell.

A szájon kívüli fényképek a következő négy fényképből állnak, amelyek a következő sorrendben készülnek:

1. Arc – frontális (ajkak lazán).

2. Arc – frontális (mosolyogva).

3. Profil (ajkak lazán).

4. (45°-os) profil (más néven 3/4 profil – mosolygó).

Ez a négy felvétel a lehető legtöbb információt nyújtja a klinikusnak a páciens arcés lágyszöveti vonásairól, arányairól és a mosoly általános esztétikájáról.

1. Arc – frontális (ajkak lazán)

A páciensnek a hátterétől a megjelölt távolságban kell állnia, a feje a természetes fejpozícióban van, a szeme egyenesen a kamerára néz, a fogai és az ajkai pedig nyugalmi helyzetben vannak. A páciens egész arcának jól láthatónak kell lennie. Létfontosságú annak biztosítása, hogy a pupillák közötti vonal vízszintesen legyen kiegyenlítve (3. ábra).

A fényképezőgépet ehhez és minden extraorális fényképezéshez függőleges portré orientációban kell tartani, és a fényképet az arc középvonalához képest 90 fokban kell készíteni a legjobb eredmény érdekében, miközben biztosítani kell a teljes fej és nyak megfelelő keretezését.

2. Arc – frontális (mosoly)

Ugyanazok az elvek érvényesek, mint az első fényképen, azzal a fontos kivétellel, hogy a páciensnek természetes, nyugodt módon kell mosolyognia, és az elülső fogaknak jól láthatónak kell lenniük, hogy a mo -

soly általános esztétikája elölről megfelelően bemutatásra kerüljön (4. ábra).

3. Profil (ajkak laza)

A profilkép rendkívül nagy diagnosztikai értékkel bír a fogszabályozó orvos számára. A páciensnek balra kell fordulnia, így a klinikus számára láthatóvá válik a jobb profilja. Ideális esetben az arc teljes jobb oldala jól látható, és nem lehetnek akadályok, mint például haj, sapka vagy sál. A fejnek a természetes fejtartásban kell lennie, a szemek vízszintesen rögzítve – lehetőleg egy meghatározott ponton, szemmagasságban, vagy a saját pupillák tükörben való tükröződésénél (5. ábra). A gyűrűs

19 Dental World Journal / Orthodontia Kongresszus
3. ábra: Teljes homlokfelvétel – ajkak nyugalomban. – 4. ábra: Teljes homlokfelvétel –mosolyogva. – 5. ábra: Jobb oldali profilkép – ajkak nyugalomban. – 6. ábra: 3/4 profil – mosolygó nézet.

vaku használata itt különösen fontos, mivel ez kiküszöböli a páciens profilja határának a háttérre vetülő árnyékolását, amely nagyon zavaró lehet, és jelentősen ronthatja a fénykép minőségét és a belőle nyert információt.

4. (45°) profil (más néven 3/4 profil – mosolygó)

A profilfotó pozícióból a páciensnek kissé jobbra kell fordítania a fejét – körülbelül 3/4-éig, innen az elnevezés –, miközben a testét az előző „profilfotó” pozícióban tartja, azaz előrenéz. Ezután arra utasítjuk őket, hogy nézzenek a kamerába, majd mosolyogjanak. Lényeges, hogy a páciens fogai mosolygás közben tisztán látszódjanak, különben a fénykép minimális hasznot hozna (6. ábra).

Ez a felvétel úgy mutatja be a pácienst, mintha „társadalmi interakcióban” lenne, és értékes információkkal szolgálhat a mosoly esztétikai változásairól a kezelés előtt és után.

Intraorális klinikai fényképek

A szájüregi fotókhoz a kamera beállításán kívül megfelelő arcretraktorokra, fogászati fotótükrökre, valamint lehetőség szerint jól képzett asszisztensre van szükség. Nagyobb figyelmet igényelnek a részletekre a kiváló eredmények eléréséhez.

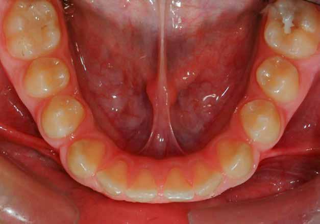
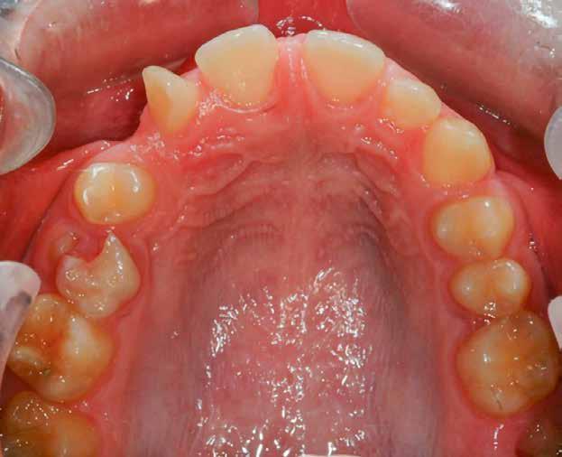
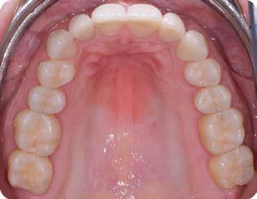
Öt alapvető intraorális felvétel készül – a következő sorrendben:

1. Frontális – zárlatban

2. Jobb bukkális (okklúzióban)

3. Bal bukkális (okklúzióban)

4. Felső okkluzális (tükör)

5. Alsó okkluzális (tükör)

1. Frontális (okklúzióban)

A páciens a fogorvosi székben ül, a fejét a klinikus könyökének magasságába emelve. A fogászati asszisztens a páciens mögött áll, és a szélesebb végükről a nagyobb retraktorkészletet

20 Dental World Journal / Orthodontia Kongresszus
használja, hogy a páciens 7. ábra: Frontális nézet – okklúzióban. 8. ábra: Jobb bukkális nézet – okklúzióban. 9. ábra: Bal bukkális nézet – okklúzióban. 10. ábra: Felső okkluzális nézet – tükör. 11. ábra: Alsó okkluzális nézet – tükör.

ajkait oldalra és kifelé, a fogaktól és az ínytől távolabb húzza vissza. Az összes fog és a kapcsolódó szövetek láthatóvá tételéhez maximális látómezőre van szükség. A felvételt az arc középvonalához és a központi metszőfogakhoz képest 90°-ban kell készíteni. Az okklúziós síkot a páciens meglévő okklúziójának megfelelően kiegyenlítve. A Ring-Flash nagyban segíti a minőségi fénykép elkészítését, mivel biztosítja a lehető legjobb megvilágítást árnyékmentesen, különösen a szájüreg mélyebb részein és a bukkális vestibulumokban (7. ábra).

2. Jobb bukkális (okklúzióban)

Itt az asszisztens a jobb oldali övvisszahúzót a keskenyebb oldalra fordítja, míg a bal oldali övvisszahúzó a helyén marad, mint az előző frontális felvételnél. A pácienst megkérjük, hogy fordítsa a fejét balra, hogy a jobb oldala a klinikus felé nézzen (8. ábra).

A klinikus tartja a jobb oldali retraktort, és olyan mértékben nyújtja, hogy lehetőleg az utolsó jelenlévő moláris láthatóvá váljon, míg az asszisztens a bal oldali retraktort tartja anélkül, hogy indokolatlanul megnyújtaná. A felvétel ismét 90°-ban készül a szemfog-premoláris területhez képest, hogy a bukkális szegmens viszonya a legjobban láthatóvá váljon, mivel ez nagyon fontos az ortodontiai értékelésben. Hasznos tipp lenne, ha a klinikus közvetlenül a felvétel elkészítése előtt teljesen megfeszítené a jobb retraktort, hogy minimalizálja a páciens kellemetlenségeit, és lehetőség szerint maximálisan láthatóvá tegye az utolsó jelenlévő zápfogat.

3. Bal bukkális (okklúzióban)

Az asszisztens most úgy cseréli a retraktorokat, hogy a keskeny végük a fotó oldalán (a beteg bal oldalán), a széles végük pedig a másik oldalon (a beteg jobb oldalán) legyen. Ugyanazok az elvek érvényesek, mint a jobb bukkális felvételnél. A klinikusnak kissé jobbra kell mozgatnia a testét, miközben a retraktort a fotó oldalán tartja, hogy a fotó 90 fokban készüljön a szemfog-premoláris területhez képest, miközben a páciens teljesen jobbra fordítja a fejét (9. ábra).

4. Felső okkluzális (tükör)

Az asszisztens most átvált a kisebb retraktorkészletre, és a páciens nyitott szájjal, V alakban behelyezi a retraktorokat, hogy a felső ajkakat oldalra és a fogaktól távolabb húzza. A klinikus a tükröt a szélesebbik végével befelé helyezi, hogy a fogív maximális szélességét rögzítse hátulról, és kissé lefelé húzza, hogy a teljes felső fogív látható legyen az utolsó jelenlévő zápfogig (10. ábra). a felvételnek a tükör síkjához képest 90°-ban kell készülnie a legjobb láthatóság és a vizuális torzítás elkerülése érdekében. A középső szájpadlásrésszel a szájpadlást a felvételen egyenesbe kell állítani. A retraktor minimális láthatósága a képen ajánlott, és a végleges fényképen lehetőleg ne látszódjanak ujjak.

5. Alsó okkluzális (tükör)

Az asszisztens most a kisebb retraktorokat fordított V alakban leengedi, hogy az alsó ajkakat oldalra és a fogaktól távolabb húzza vissza. A klinikus most felfelé

emeli a tükröt, hogy láthatóvá tegye az alsó ív tükörképét, miközben a pácienst arra kéri, hogy „emelje fel kissé az állát”. Ideális esetben a felvétel a tükör síkjához képest 90°-ban készül, úgy, hogy az utolsó jelenlévő zápfog látható legyen. Fontos kérdés lenne itt a páciens nyelvhelyzete a fénykép készítése közben. A legjobb, ha megkérjük a pácienst, hogy „görgesse viszsza” a nyelvét a tükör mögé, hogy az ne zavarja a fogak láthatóságát, különösen a hátsó területen (11. ábra).

További fényképes nézetek

A klinikus számos más nézetet is figyelembe vehet az adott eset teljes körű dokumentálása érdekében, az igényeitől függően. A funkcionális okklúziós felvételeket a fogszabályozó orvos készítheti a fogszabályozás vagy az okklúzió csoportfunkciójának bemutatására, hogy kiegészítse a meglévő feljegyzéseket. Az ajkakról és a szájról mosolygáskor közeli felvétel készíthető az általános mosolyesztétika közelebbi vizsgálatához, vagy a túlnyúlás egyik oldalról történő közeli megtekintése a metszőfogak túlnyúlásának és a túlharapás mértékének bemutatására. A meglévő fogszabályozó készülékek, brackettek vagy ívdrótok és a hozzájuk tartozó segédeszközök bizonyos aspektusaira összpontosító közelképek szükség szerint egyedileg is készíthetők, bár sok klinikus inkább kivágja a szükséges részleteket a korábban ismertetett teljes fényképsorozatból, feltéve, hogy a képminőség romlásának elkerülése érdekében nagy felbontású beállítással készülnek a képkivágáskor.

Hasznos tippek a legjobb eredményekért Javasoljuk, hogy minden fényképfelvételt a lenyomatvétel előtt készítsenek, hogy a fényképfelvétel készítése során a lenyomatanyag ne ragadjon be a fogak közé vagy az arcra.

A retraktorok megnedvesítése közvetlenül a behelyezés előtt megkönnyíti a megfelelő pozicionálást a szájban a beteg számára minimális kellemetlenséggel.

A retraktorok húzási iránya mindig oldalirányú, kissé előre és kifelé, távol az ínyszövetektől. Ez maximalizálja a látómezőt és minimalizálja a páciens kellemetlenségeit.

Amikor a tükörrel okkluzális felvételeket készítünk, a tükröt meleg vízben kissé felmelegítve a szájba helyezés előtt segít megelőzni a tükrök „ködösödését”, amely megakadályozná a tiszta kép elkészítését.

Egyes betegeknél a bőséges nyálfolyás és a „habzás” befolyásolhatja a készülő kép minőségét, ezért minden egyes felvétel elkészítése előtt nyálelszívó készüléket lehet használni a nyál eltávolítására.

Utómunka

Miután az összes fényképfelvételt beszereztük, azokat le kell tölteni a számítógépre, és az eredeti fájlokat egy külön számítógépre, merevlemezre vagy megfelelő cserélhető adathordozóra kell lementeni, mielőtt a fényképeket utólag feldolgoznánk a végleges archiváláshoz, hogy az eredetiek mindig rendelkezésre álljanak, ha a számítógép vagy a merevlemez meghibásodik, vagy ha az utófeldolgozás során valami baj történik. Ez egy másik cikk témája lesz.

21 Dental World Journal / Orthodontia Kongresszus

Orthodontia Kongresszus

2023. október 12., csütörtök

09.50–10.00 Dr. Borbély Péter: Megnyitó

10.00–12.30 Dr. Daniel C. Neves (Brazília): Digitális fogszabályozási ökoszisztéma –teljes körű megoldás kölcsönösen előnyös

eredményekkel

A technológia alapvető információkkal és innovatív ötletekkel alakítja a jövőt. A fogszabályozás területe, a hardver, a szoftver és az ember együttesen, gyorsan változik, valószínűleg gyorsabban, mint történelme során bármikor. Ha úgy gondolja, hogy az ember a legértékesebb érték a vállalkozásában, akkor kommunikálnia, terveznie és következetesnek kell lennie. Az előadás középpontjában a modern digitális munkafolyamatok állnak majd, Clear Alignerekkel és interdiszciplináris megközelítésekkel, valamint a jobb higiéniát, a kezelés következő szintű nyomon követését és a fokozott kiszámíthatóságot célzó intelligens szkennelési technológia alkalmazásával.

12.30–14.00 Ebédszünet

14.00–15.30 Dr. Peter Vaughan és dr. Matthew Vaughan (Ausztrália): Rögzített retainer: miként készítsük, hogy működjön is?

A kezelés utáni stabil eredmény elérése a klinikai siker egyik jellemzője a fogszabályozás megjelenése óta. Az egyre növekvő számú fogszabályozási protokoll, termék és technika miatt a klinikusok számára egyre nehezebb meghatározni, hogy mi a tudományosan és klinikailag legjobb választás a páciens számára malocclusió esetén. Továbbá, egy olyan világban, ahol a páciensek egyre inkább részt vesznek saját egészségügyi döntéseikben, a fogszabályozó orvos már nem dönthet önállóan, hogy „mit tart a legjobbnak”. Minden eddiginél több páciens kér fix fogszabályozó kezelést, és a fogorvosok felelőssége, hogy ezeket a kezeléseket példamutató ellátási színvonalon tudják biztosítani. Ez az előadás a rögzített retenció koncepciójával és annak különböző változataival foglalkozik, pragmatikusan összpontosítva a hatékony és bevált klinikai technikák alkalmazására. Megvitatásra kerül a rögzített és kivehető retenciós rendszerekkel kapcsolatos legfrissebb evidenciaalap, valamint a betegközpontú preferenciákat vizsgáló új kutatások. A rögzített rendszer többféle módszerét, valamint azok előnyeit és hátrányait a több évtizedes klinikai gyakorlatból vett valós példákkal ismertetjük. Végül részletes technikát mutatunk be arra vonatkozóan, hogyan lehet a klinikailag bizonyított rögzítési protokollt beépíteni a mindennapi klinikai gyakorlatba, hogy páciensei számára egész életük során a lehető legkisebb legyen a visszaesés esélye.

15.30–17.00 Dr. Nimet Guiga (Portugália): Korai fogszabályozó kezelés

A komplex fogszabályozó kezelések, az arc egyensúlyhiány, a beszédzavarok, és a POSA megelőzése & összességében jobb eredmények elérésére. Az 1. osztályú fogszabályozó kezelés igen ellentmondásos a fogszabályozó orvosok körében. Ennek az előadásnak a célja az 1. osztályú kezelés szerepének pontosítása és bővítése. Ahelyett, hogy a korai kezelést „interceptív” vagy „megelőző” jellegűnek tekintenénk, azt javasoljuk, hogy az 1. osztályú beavatkozást tekintsük egy átfogó kezelési terv szerves részének, amely a gyermekkortól a serdülőkorig terjed, és SMART (specifikus, mérhető, elérhető, releváns és időhöz kötött) célokkal rendelkezik. A bizonyítékokkal alátámasztott koncepciókat konkrét esetpéldákkal támasztjuk alá, hogy szemléltessük az 1. osztályú kezelésnek a legtöbbünk által ismertnél sokkal szélesebb körű szerepét.

23
Dr. Geninho Thomé Neodent Founder and Scientific President Matthias Schupp CEO of Neodent &
Sérgio Bernardes New Product Development & Clinical Practice Director
EVP LATAM Straumann Dr.
Dr. Párkányi László elo˝adó Dr. Heintz Renáta elo˝adó Dr. Alessandro Perucchi elo˝adó Dr. Cristian Scognamiglio elo˝adó

Orthodontia Kongresszus

2023. október 13., péntek

09.50–10.00 Dr. Borbély Péter: Megnyitó

10.00–12.30 Dr. Hazem Idriss (Csehország): Munkafolyamatok a kiszámítható aligner kezeléshez

A spark Clear Aligner rendszer számos eszközt és funkciót kínál, de hogyan használjuk ezeket a legjobb eredmények és a legkiszámíthatóbb kezelési tervek érdekében?

Az előadás ezeket a lehetőségeket veszi górcső alá, mutatja be gyakorlati oldalról. Egyértelmű munkafolyamatok segítségével segít a leggyakoribb problémák kezelésében és a gyakran felmerülő kérdések megválaszolásában.

12.30–14.00 Ebédszünet

14.00–15.30 Dr. Shadi Gerá (Izrael): A fogszabályozás forradalmi fejlődése

Ez az előadás az Invisalign és az Align digitális platform transzformatív hatását vizsgálja a fogszabályozásra. Az Invisalign átlátszó alignereket használ a kényelmes és hatékony fogszabályozáshoz, míg az iTero szkenner fejlett digitális képalkotása fokozza a pontosságot. A résztvevők betekintést nyerhetnek különböző esetekbe, a kezelés tervezésébe és e technológiák zökkenőmentes integrációjába. Az Invisalign és az iTero alkalmazása lehetővé teszi a fogorvosok számára, hogy élvonalbeli fogszabályozási megoldásokat nyújtsanak, javítva a páciensek eredményeit és elégedettségét.

15.30–17.00 Dr. Németh Kinga, dr. Felső Zita:

Az aligner technológia nyújtotta lehetőségek, fényterápiával kombinálva

Az előadás során szakorvosi irányból mutatja be a Smilezor Aligner rendszer adta lehetőségek és kívánalmak teljesülését. Hogyan/miként adaptálható ez a típusú fogszabályozó rendszer a praxisok mindennapjaiba? Milyen módon képes a klinikailag igazolt, valamint FDA által is jóváhagyott készülék - OrthoPulse® - a fogszabályozó kezelések idejét kontrolláltan lerövidíteni?

23

Emelje magasabb

szintre fogászati gyártófolyamatait

Precíz, konzisztens alkatrészek

Skálázható és megbízható gyártási kapacitás

Korszerű digitális munkafolyamatok

Kompakt méret, nagy kapacitás, kiváló minőség

A Stratasys J5 DentaJet 3D nyomtató full-color képessége elérhetővé teszi színes, minden eddiginél valósághűbb modellek készítését – megfizethető áron.

J5 DentaJet™

Load one tray and walk away

Ismerje meg, milyen előnyöket kínál a Stratasys J5 DentaJet fogászati 3D nyomtató!

Töltse le a magyar nyelvű ismertetőt! varinex.hu

VARINEX Zrt. @ Dental World 2023

Keressen minket a 4/A standon!

Orthodontia Kongresszus

2023. október 14., szombat

09.50–10.00 Dr. Borbély Péter: Megnyitó

10.00–12.00

(Jordánia):

Anterior esztétika: multidiszciplináris perspektíva

A modern korban a frontális fogak - arc esztétikájának interdiszciplináris kezelése a legtöbb fogászati szakterületen belül a modern fogászati gyakorlat alappillérévé vált. Az esztétikai ítéletek szubjektivitása, valamint a szakmabeliek és a laikusok közötti különbségek a legáltalánosabban elfogadott „szépségi normák” tekintetében - valamint ezek folyamatos ingadozása az idők folyamán - arra késztette a klinikusokat, hogy megpróbálják tisztázni és szabványosítani ezeket az értékelési és kezelési tervezési módszereket, hogy könnyebben és következetesebben kommunikálhassuk, tervezhessük és alkalmazhassuk a meglévő és jövőbeli kezelési technikákat pácienseink érdekében. Ez az előadás orthodontusoknak, valamint a dento-faciális esztétikai problémák interdiszciplináris kezelése iránt érdeklődő fogorvosoknak is szól, ahol az anterior fogászati esztétika interdiszciplináris kezelésének legmodernebb megközelítései kerülnek megvitatásra, a makro-, mini- és mikroesztétikára összpontosítva. Bemutatja a „holisztikus gondolkodás” fontosságát a fogászatban, és bemutatja, hogy a fogszabályozás a legtöbb esetben hogyan lehet a sikeres esztétikai kezelések fontos alapköve. Célja továbbá, hogy tisztázza a multidiszciplináris környezetben együtt dolgozó szakemberek által megkövetelt jelenlegi értékelési, kezelési, tervezési és gondozási standardokat, hogy jobban tudjanak egymással kommunikálni, harmonikusan gondolkodni és cselekedni a kezelés különböző szakaszai során, különösen, ha fogszabályozásra van szükség. Az előadás végére mind a fogszabályozó orvosoknak, mind a nem fogszabályozó orvosoknak képesnek kell lenniük arra, hogy világosan megértsék a multidiszciplináris esztétikai kezelésnek a fogszabályozó szakemberrel együtt történő kezeléséhez szükséges modern szisztematikus megközelítést.

12.00–13.30 Ebédszünet

13.30–14.45

(Németország):

Palatális expanzió mini implantátumokkal

14.45–16.00 Dr. Csiki Péter: A Pitts21 recept: hogyan alakítsuk át pácienseink életét a maximális hatékonysággal?

Manapság a fogszabályozó kezelésbe belevágó páciensek túlnyomó részének esztétikai igényei vannak, más szóval a kezelésük végén gyönyörű mosolyt szeretnének. Dr. Thomas Pitts az egyik úttörője volt az esztétikavezérelt fogszabályozásnak, a Pitts21-es fix készülékkel és egyszerűsített protokolljaival, lágy és folyamatos erőket használva a fogmozgatásokhoz, gyönyörű esztétikai eredményeket érhetünk el kiváló funkcióval, mindezt rövidebb kezelési idővel. Az előadásom során bemutatom a legfontosabb arcesztétikai paramétereket, amelyek a fogszabályozó orvos kontrollja alatt állnak, hogyan használjuk a Mosolyvonal Beállító (SAP) bracket pozicionálást és hogy mennyire fontos a bio-esztétikai elemek alkalmazása, úgymint a fogkonturálás, interproximális redukció és a lézeres ínykonturálás, annak érdekében, hogy a lehető legtökéletesebb esztétikai eredményt érjük el a kezelés során, mindezeket kiegészítve Digitális Mosoly Tervezéssel. Ami a Pitts Biomechanikát illeti, a Pitts „Korán Aktív” koncepcióról, a torque választásról, az ívszekvenciákról, a diszartikulációról és az azonnali lágy elasztikus gumihúzásokról (ILSE) is fogunk beszélni. A retenciós fázis mindig nagyon fontos a kezelés után az eredmény megtartásához. Az esetbemutatásokon keresztül pedig valódi képet kaphatunk a Pitts Protokollok hatékonyságáról.

23
Dr. Thomas Lietz Dr. Shadi Samawi

A magabiztos mosolygás nem csak álom!

Vágj bele a láthatatlan fogszabályozásba

és mosolyogj bátran!

Mosolyogj felszabadultan!

Hogy mi szól a ClearCorrect mellett?

kényelmes

hatékony

víztisztán áttetsző, vagyis

teljesen láthatatlan

fémmentes

könnyű tisztítani

Láthatatlan Egyszerű használat Kényelmes
Látogasson el weblapunkra a QR kód segítségével ACC017/it/00 04/19

Workshop program

Bioarchitektúra –technika a molárisokhoz

2023. október 12., csütörtök

Tippek & trükkök – egy módszer, mellyel gyorsan és esztétikafunkció helyesen tudunk molárisokat restaurálni

A cél, hogy megértsük és elsajátítsuk e módszer protokollját lépésről lépésre

1. ELMÉLET FOGORVOSOK ÉS FOGTECHNIKUSOK részére

- Szín elmélet – mit nézzünk és hogy reprodukáljuk

- A molárisok morfológiai elemei – a dentinmag formája

- Anyag- és technikaválasztás az eset függvényében

- A felszíni textúra fontossága

- A kor és a fog funkciójának jelentősége

- A polírozás, finírozás jelentősége a hosszú távú sikeresség érdekében.

2. GYAKORLATI RÉSZ (FOGORVOSOK & FOGTECHNIKUSOK)

A 16-os és 24-es fog felépítése lépésről lépésre – két módon

Nagyon fontos, hogy a feladat megoldásához a megfelelő anyagot és a hozzáillő megismételhető technikát alkalmazzuk a hosszú távú, előre megjósolható eredmény érdekében. Az optikai effektusokat figyelembe véve főleg a belső és külső morfológia szabályait követve érhetjük el a kivánt esztétikát és a funkcionális egyensúlyt. A restaurációhoz használt anyag ismerete és a felépítendő fog minden egyes elemének kódolása teszi lehetővé az ideális eredmény gyors elérését.

Cél: a felépítendő természetes fog morfológiai analízise biomechanikai és dentalis harmóniai szempontból.

Olyan rétegzési technika elsajátítása, amely a belső elemek helyes elhelyezésén keresztül vezet gyors felépítéshez.

Egyszerűsített rétegzés

– Biodinamikai analízis – Funkcióanalízis

– Biokonstrukció a belső elemek felépítésén keresztül – „kúp technika” kompozittal

– Két moláris fog, 16-os és 24-es felépítése – a belső elemek orientációja – A belső elemek rétegzése

– Biomechanikai szabályok a dentinmag orientációja tekintetében

– A sulcus kialakítása

– A kompozitfelszín kezelése – polírozási protokoll

Részvételi díj: 80 000 Ft (elővételben)

Jelentkezés: dentalworld.hu

23
Danielle Rondoni

ENAMEL PLUS HRi BIO FUNCTION

ÚJ BIOKOMPATIBILIS KOMPOZIT

DOESNOT CONTAINBISPH

> Nagyfokú biokpmpatibilitás: nem tartalmaz

Bis-GMA-t és szabad nanopartikulát

> A természetes zománccal megegyező abrázió

> Mechanikai és funkcionális jellemzői megegyeznek az arannyal

> Könnyű kezelhetőség és ideális polírozhatóság

> Egyaránt alkalmas direkt és indirekt felhasználásra

> Röntgenárnyékot ad

> Fluoridot tartalmaz

®

bpafree
E N LOA BISGMA FREE
Cím: 1123 Budapest, Alkotás u. 15. 4. em. 4. • Tel: (06-1) 201-7103 Mobil: (+36-30) 957-0500 • E-mail: csk@densalba.hu
Clinical case by Dr. Lorenzo Vanini
dens.Alba NOVA
Esztétikus megoldás bármilyen restaurációhoz!

Páciensélmény-tervezés a fogászati praxisban

2023. október 13., péntek 9.00-12.30

Tudta, hogy a páciens már akkor élményeket gyűjt a fogászati praxisról, amikor még az orvos nem is tud a létezéséről? A bejelentkezés előtt keres, mérlegel és dönt az adott fogászat mellett. Hogyan tudjuk ezt úgy befolyásolni, hogy minket válasszon? Az egészségügyi marketing legfontosabb módszertana a páciensélmény-tervezés lett, mert az értékteremtés és élménynyújtás az, amely megkülönbözteti az egyik fogászati praxist a másiktól. Közösen végigmegyünk a páciensút-készítés és páciensélmény-tervezés minden apró lépésén.

Részvételi díj: 49 900 Ft+áfa

Jelentkezés: www.flexi-dent.hu/trening

Hogyan tudjuk meggyőzni pácienseinket a komplett rehabilitációról a minimál beavatkozás helyett?

2023. október 13., péntek 9.00-12.30 Különösen ajánlott pályakezdő orvosok számára

Részvételi díj: 49 900 Ft+áfa

Jelentkezés: www.flexi-dent.hu/trening

Hogyan toborozzunk új munkatársakat és tartsuk meg őket?

2023. október 13., péntek 13.00-16.30

Előadó: Kluka Attila

Orvos- és asszisztenstoborzás. Az értékes munkaerő, avagy a dolgozók megtartásának módszerei és eszközei. Hogyan segíthet mindebben a mesterséges intelligencia?

Részvételi díj: 49 900 Ft+áfa

Jelentkezés: www.flexi-dent.hu/trening

Recepciósképzés 3.0 – avagy régi eszközökkel nem nézhetünk

szembe az új kihívásokkal

2023. október 14., szombat 09.00-16.00

Előadó: Kluka Attila

Nemzetközi trendek és mesterséges intelligencia a recepción a páciensek magasabb szintű kiszolgálásának érdekében. Orvos- és asszisztenstoborzás. Az értékes munkaerő, avagy a dolgozók megtartásának módszerei és eszközei. Hogyan segíthet mindebben a mesterséges intelligencia?

Részvételi díj: 74 900 Ft+áfa

Jelentkezés: www.flexi-dent.hu/trening

Mennyit fizessek az asszisztensnek, mi marad nekem? – bizalmi workshop iparági átlagokról rendelőtulajdonosoknak!

2023. október 13., péntek 13.00-16.30

Hogy állok a többiekhez képest? Ti mennyit fizettek az asszisztenseknek? És az orvosoknak? A workshopon egy alapvető bevételszerkezet és költségszerkezet áttekintést követően megbeszéljük, hogy a résztvevők közül ki milyen mértékben tér el az iparági átlagoktól. Megtudhatod, mások hogy csinálják, kinek milyen arányokat képviselnek a különböző kiadások és ki hogyan tudja maximalizálni a bevételeit. Egy egyedi, korábban még nem létező kiscsoportos workshop, ahol az interaktív prezentációs technikának köszönhetően úgy osztjuk meg egymással a tudást, hogy mindeközben senki sem adja ki a titkait.

Részvételi díj: 49 900 Ft+áfa

Jelentkezés: www.flexi-dent.hu/trening

23
Workshop programok
Horváth Krisztina Máté Zoltán Kluka Attila

Workshop programok

2023 leghatékonyabb fogászati marketingeszközei és kampányai

2023. október 14., szombat 09.00-12.30

A fogászati páciensúton végighaladva, annak megfelelően éppen melyik fázisban tart a potenciális páciens, sorba vesszük az összes lehetséges működő, eredményt hozó marketingeszközt. Minden egyes páciensút szakaszhoz hozok konkrét megoldási javaslatot, kampánytervet. Ezek eredményességét konkrét eseteken keresztül bemutatom, elemzem és közösen kiértékeljük. A workshopot követően már csak a megvalósítás vár a praxis vezetőjére, de ha szeretné, ebben is tudunk segíteni. Jelentkezzen a workshopra és küldje el előre kérdéseit, akár anonim módon: horvath.krisztina@positive.hu Garantáltan válaszolok minden beérkező kérdésre!

Részvételi díj: 49 900 Ft+áfa

Jelentkezés: www.flexi-dent.hu/trening

Az egészséges árak kialakítása

2023. október 14., szombat 13.00-16.30

Kapott excelek és kalkulátorok segítségével, az iránymutatásaink alapján, ott helyben ki tudod alakítani a megfelelő árazási stratégiádat. 100% gyakorlat és egy hatalmas mankó a kezedben! Te mi alapján határozod meg az áraidat? Szétnézel, hogy a környéken melyik rendelő milyen árszabással dolgozik? Vagy érzésre emelsz ezen a szolgáltatáson egy picit, a másikon többet? Az árazás kérdése sokkal komplexebb ennél, főleg a jelenlegi gazdasági helyzetben. Az anyagok ára hirtelen megnőtt, a munkatársak egyre magasabb bért szeretnének és arra döbbensz rá, hogy „egyre kevésbé jön ki a matek” és mindenki jól jár a rendelőd szolgáltatásaival, csak pont Te nem. Ennek vetünk véget és vezetünk végig az úton, hogy miként hozz megalapozott, tudatos döntést, és alakítsd ki úgy az áraidat, hogy az Neked is megérje. A képzés során a metodikához és áraid folyamatos felülvizsgálatához a szoftveres segítséget is bemutatjuk.

Részvételi díj: 49 900 Ft+áfa

Jelentkezés: www.flexi-dent.hu/trening

Modern endodonciai kezelések a gyakorlatban: a gépi tágítástól a guttapercha-pisztolyokig 2023. október 14., szombat

Bevezetés

Az endodonciai eszközök fejlődése nagyon intenzív, sokszor követni sem tudjuk mi az újdonság. Megveszünk egy endomotort, csilli-villi funkciókkal, aztán mégis csak úgy használjuk, mint az előzőt (rosszabb esetben helytelenül is). A fiók mélyére süppedhet egy ultrahangos aktivátor, heatplugger vagy guttapercha-pisztoly is, pedig a megfelelő knowhow birtokában biztonságosabbá, gyorsabbá, kiszámíthatóbbá teszik a munkánkat. Ezen a tanfolyamon nem csak beszélünk ezekről a technológiákról, hanem lehetőséget adunk arra, hogy résztvevőink kipróbálják magukat a gyakorlatban is!

Mi fog történni a tanfolyamon?

A képzés során a résztvevők megismerkednek a különböző anatómiájú fogak ellátásának tervezésével és kezelési stratégiáival. Megvitatásra kerülnek a gyökérkezelések buktatói is. Bemutatásra kerülnek a modern endodonciai kezelések eszközei: modern gépi tűk, új generációs endomotorok, ultrahangos aktivátorok, heatpluggerek és guttapercha-pisztolyok, valamint a diagnosztikai eszközök: CBCT a tervezéshez, kézi röntgen a gyors tűskontrollhoz. A gyakorlati szegmensben modellen próbálhatják ki a résztvevők a helyes tágítás, tisztítás és gyökértömés gyakorlatát, melyhez használni fogják a megismertetett eszközöket.

A tanfolyamon elsajátítható ismeretek

• Endodonciai kezelési stratégiák

• A különböző endo file-ok használata, anyaga és indikációi

• Az endomotorok funkcióinak megismerése: reciprokálás, ATC, apexlokátor és az apikális referenciapont funkció használata a még biztonságosabb tágításért

• Kémiai tágítás, avagy az átöblítési protokoll rejtelmei

• Ultrahang az endodonciában: aktivátorok működése és haszna, a leggyakoribb hibák elkerülése

• Gyökércsatornák lezárásának technikái

• Az intelligens heatpluggerek használata

• Gyors befejezés guttapercha-pisztolyokkal

Részvételi díj: 45 000 Ft • Kredit: Utóakkreditáció alatt • Jelentkezés: volomshop.com

23
Horváth Krisztina Máté Zoltán Dr. Mekis Miklós
ARANY MUNKÁIT RENDELJE MEG A SCHULZE LABORTÓL! Több mint 100 éves tapasztalat! INLAY, ONLAY ARANY KERÁMIA ARANY LEMEZ ARANY KOMBINÁLT MUNKA LEMEZ ARANYOZÁS GALVÁN MUNKÁK KESZÍTÉSE ELÉRHETŐSÉG: +36 20 366 10 80 schulzefogtechnika@gmail.com Dolgozz velünk digitálisan ! Minden ami virtuális tervezés Küldje el a lenyomtatot akár intraoral scan formájában és mi megtervezzük illetve legyártjuk a kívánt fogpótlást ! Minden ami 3D nyomtatás CoCr és Ti 3D nyomtatása Teljeskörű support Precíziós utómunkálat Több mint 30 éves szakmai tapasztalat Az általunk vagy az Ön által tervezett vázakat, lemezeket 3D nyomtatással készítjük el ! Minőség, pontosság, szakértelem. A fogtechnikai újdonságok úttörői ! www dentarttechnik hu labor@dentarttechnik.hu +36 30 682 3827 labor@dentarttechnik.hu dentarttechnik cirkónium-dioxid, PEEK, lítium-diszilikát, PMMA, kompozit

Workshop programok 23

Bioclear Modern Anterior Kompozit Technikák dr. Arthur Volkerrel

2023. október 13., péntek

Injection molding a szép, egyszerű és megbízható diasztéma-zárásokhoz és Class II tömésekhez. A Bioclear világelső matricáinak bevezetése alkalmából különleges hands-on tréninggel készülünk a Dental World-ön: Dr. Volker segítségével a résztvevők elsajátíthatják a modern „fröccsöntéses” töméstechnika alapjait és megtanulhatják, hogyan válasszanak helyesen Bioclear matricákat. Kuriózum, és először Magyarországon!

Miért érdemes részt venni a tanfolyamon?

Tömérdek tömőanyag és matrica van ma a piacon – nehéz a rengetegükben kiigazodni. Ezen a képzésen a résztvevők elsajátíthatják a forradalmian új megközelítést hozó Bioclear Method „fröccsöntéses” töméstechnikáját, mellyel egyszerűen és kiszámíthatóan kezelhetnek olyan gyakran előforduló (mégis sokszor problémát okozó) klinikai eseteket, mint a diasztéma-zárás, valamint a Class II tömések. Szerkesztői megjegyzés: Dr. Volker nagy visszatérőnk, kiváló esztétikai fogorvos – a Dental Worldre először a 2000-es évek közepén, még Cosmedent előadóként hívtuk meg

A tanfolyamon elsajátítható ismeretek

• A különböző kompozitok hasznosságának megállapítása, a helyes matricaválasztás alapvetései

• Rendszerszerű előkészítési protokollok (izoláció, speciális homokfúvás) szuvas és nem szuvas restaurációk esetében

• A különböző direkt kompozit tömési technikák összehasonlítása

• A Bioclear rendszer és használata (injection molding)

• Helyes polírozási technika

Részvételi díj: 150 000 Ft • Kredit: Utóakkreditáció alatt • Jelentkezés: volomshop.com

Espresso Anterior

2023. október 14., szombat 10.00–12.00

Az egyszerűség a végső kifinomultság. Annak érdekében, hogy eredményként tökéletes anterior kompozitot kapjunk, a héjpreparációnál több száz tippre és trükkre bukkantunk, hogy a mindennapi feladatokat egyszerűen, a legjobb minőség feladása nélkül oldjuk meg. Ezen a kurzuson áttekintjük a modellezés lépéseit, mint az időmegtakarítás és a kompozitanyag minőségének javítási módjait, és beleássuk magunkat a forma és a szín elemeibe, ami a tökéletes restauráció egyik leghatásosabb eszköze.

Ennek a tanfolyamnak az a fő célja, hogy a gyakorló fogorvos hasznos technikákat tanuljon, amelyeket a tanfolyam után azonnal alkalmazhat a mindennapi fogászatban, hogy növelje munkája minőségét, különösen a funkció és az esztétika tekintetében, de mindig egyszerű módon.

- Legyen rendkívül hatékony a színegyeztetésben

- Sajátítsa el a kompozitgyanták rétegzését

- Gyors és szép restaurációk modellezése

- Morfológia

- Ismerje meg, hogy maximalizálhatja az adhezív fogászat élettartamát

Részvételi díj: 55 000 Ft

Jelentkezés: dentalworld.hu

Dr. Arthur Volker Dr. Jordi Manauta

Teljes szájrehabilitáció 72 óraalatt

▶ Egyfázisútechnika

▶ Azonnaliterhelésesprotokoll

▶ Egyedülállóprimerstabilitás

▶ Azegyetlentökéletesimplantátum-felépítmény „kapcsolat”–nincsmikromozgás

▶ Polírozottfelszín–nincstöbbéperiimplantitis

▶ Csontpótlásmentes,apáciensszámáraisigazán egyszerű,gyors, költséghatékonyimplantológia*

*Aköltséghatékonyság aztfejeziki,hogyazonoshatásosság(eredményesség)milyenköltséggel(ráfordítással) érhetőel.Aleginkábbköltséghatékonyazazeljárás,technológia,amelyikalegkisebbráfordítássalalegnagyobb eredménytériel.Azaz egészségügyitechnológia tekinthetőköltséghatékonynak,amelyazakárszűkösenrendelkezésreállóerőforrásokbólalehetőlegtöbb egészség-nyereséget termeli,illetveaztalegkisebberőforrás felhasználássalállítjaaztelő. (Azegészségügyifogalomtáralapján.)

sofortimplant sofortimplant sofortimplant ihdedental SofortimplantKft. | H–9400Sopron,Deákkútiút16. | +36703640600 info@sofortimplant.com | sofortimplant.com

Akár 20× több lepedéket képes eltávolítani*

Érzékel minden mozdulatot és automatikusan igazítja az intenzitást Kivételes ápolás személyre szabottan

• Sens eIQ - érzékel, alkalmazkodik és ápol

• Új All-in-One fogkefefej a teljes körű szájápolásért

• Új, mesterséges intelligencia alapú Sonicare alkalmazás

• Philips szónikus technológia akár

62 000 tisztítómozdulattal

• Elegáns és kompakt hordtáska USB-vel, melyet bárhova magával vihet

* a manuális fogkefékhez képest

A legfejlettebb fogkefénk, SenseIQ technológiával
9900 Prestige Elektromos fogkefe SenseIQ technológiával HX9992/11
...és ami mögötte van biztos megoldás a fogászati szakma elérésére

ÚJ elmex® SENSITIVE PROFESSIONAL

Ajánlja fogérzékenységben

MOST cink-foszfát tartalommal

Pro-Argin technológia

• Lezárja a megnyílt dentin csatornákat

• Hosszan tartó hatás érdekében egy erős calcium-ban gazdag védőréteget képez

Hozzáadott cink-foszfát tartalommal

• Védőréteg gyorsabb képződése

• Fokozott savval szembeni ellenállás

szenvedő pácienseinek az elmex® Sensitive Professional fogkrémet!

Most cink-foszfáttal a megerősített savakkal szembeni ellenállás érdekében

Előtte: Az idegekhez vezető, szabaddá vált dentin csatornák fájdalmat okozhatnak

Utána: A lezárt dentincsatornák védenek az érzékenységgel szemben

Csatlakozzon online

szakmai közösségünkhöz a Haleon Health Partner honlapon.

Az oldalon elérhetőek:

• Szakmai anyagok

• Akkreditált webináriumok

• Ingyenes termékminta rendelés páciensei számára

Rendeljen online ingyenes termékmintákat pácienseinek!

60x 60x 12x

PM-HU-PLD-23-00007 Rendeljen most! haleonhealthpartner.com
Haleon Health Partner hirdetes 175x127 2023AUG.indd 1 2023. 08. 09. 14:33:45
Szabaddá vált dentin csatornák Idegek
KIZÁRÓLAGOS MAGYARORSZÁGI FORGALMAZÓ alphaimplant.hu powered by TM Launch!
Immediacy
Empowering Predictability and Performance in

Turn static files into dynamic content formats.

Create a flipbook
Issuu converts static files into: digital portfolios, online yearbooks, online catalogs, digital photo albums and more. Sign up and create your flipbook.