E-Journal CAD/CAM 2025

Page 1


2025. VIII. évfolyam

2. szám

A FOGÁSZAT INFORMÁCIÓS

A New York dental a 30 éves sikertörténet után a következő fejezetre készül

Full digitális – hexagonális –fenomenális

Királykategória –frontfog-megoldás

Nem invazív és jól alkalmazkodik: funkcionális profilaxis hibrid kerámiával

AZ ALPHA IMPLANT KFT. MÁR 15 ÉVE AZ ÖN MEGBÍZHATÓ PARTNERE

A minőség a siker garanciája

alphaimplant.hu

Tisztelt Olvasó!

A fogászati szektor az idei esztendőben – reményeink szerint – már fel fogja dolgozni a Covid-19 okozta súlyos problémákat, az ukrán háború miatt kialakult nehézségeket, a korábbi években elszabaduló inflációt, és már tervezi a fejlődés aktuális lehetőségeit. Mindannyian abban bízunk, hogy megérkeznek az európai uniós források, újra indulnak a pályázatok, és stabilan tudjuk vezetni a vállalkozásainkat!

A tavalyi év sokunk életében hozott különböző gondokat, de mégis elmondhatjuk, hogy jobb volt, mind a 2020-2022 közötti időszak, amikor a létbizonytalanság, a járványtól való félelem uralta a napjainkat. Az idegenforgalom tavaly szépen megindult, 2024-ben a vendégéjszakák száma elérte a 2019-es adatokat. A nagy rendelők már teljes kapacitással üzemelnek, a fogtechnikai laborokban is visszatért a folyamatosság, a fogászati kereskedők jelentős része pedig jobb évet zárt 2024-ben, mint a korábbi esztendőkben.

A fogászati rendelők és fogtechnikai laborok elsősorban a fejlesztéseket állították előtérbe, amelyhez számos pályázat és egyéb forrás is kedvező konstrukciókat kínált. 2025-ben – tudomásunk szerint – lesznek új pályázati források, ezekről a kereskedelmi vállalatok részletesebb információkat tudnak majd adni. Az új források bevezetése idén remélhetőleg ismét növekedési spirálba helyezi majd ezt a szektort!

Az infláció elérte a fogászati ágazatot is, a vállalkozások az euró változásától, gyengülésétől függően azzal találkoznak, hogy az árak – a mindennapi élet mellett – itt is jelentősen és folyamatosan változnak, emelkednek. Így a fogászati rendelők is kénytelenek az áraikat emelni, egyre több rendelő, ún. „piaci alapú” árképzést vezet be. A folyamat kimenetelét még nem lehet pontosan látni, a munkaerő fluktuációja, az Európai Unió áraihoz képest alacsony magyar fogászati beavatkozások értéke - jelenleg még nem érte el a drágulás csúcspontját. Az elmúlt időszakban számos újság, cikk foglalkozott a fogászati szektorban található extra drágulási folyamattal. Ez egyelőre – a hazai rendelőkben – még nem mutatott jelentős problémát, új hívószavakkal, sok marketing munkával, reklámmal most a magyar lakosságot kell határozottabban a rendelőkbe invitálni!

A kiadó bizakodva tekint a jövőbe, a megújult tartalmaink kapcsán sok pozitív visszajelzést kapunk, melyeket nagyon köszönünk! Az elmúlt években –a nehézségek ellenére is – növelni tudtuk a kiadványaink és a magazinjaink számát, nem csökkentve azok tartalmi minőségét. 2020 óta a tematikus e-Journalok is folyamatosan megjelennek, melyek egyfajta online könyvtárként is szolgálnak az Olvasóinknak. A dental.hu oldalon díjmentesen elérhetőek a korábbi tematikus online lapszámaink is.

A mostani kiadványunkban az általános fogorvosi eljárások mellett kiemeltebben a CAD/CAM technológia témakörével foglalkozunk.

Tartalmas olvasást kívánok!

Laczkó Tamás, felelős kiadó

E-Journal VIII. évfolyam, 2025. 2. szám

Kiadja: DP Hungary Kft. 1012 Budapest, Kuny Domokos u. 9.

Felelős kiadó: Laczkó Tamás

Főszerkesztő: Róth Lajos

Előkészítés: DP Hungary Kft., Sárközi András e-mail: grafika@dental.hu

Információ, hirdetésfelvétel: Bárdos Veronika, telefon: 06-30-472-0030, 06-1-793-1874

Az újság e-mail címe: info@dental.hu

Az újság internetcíme: www.dental.hu

Terjesztés: E-mail hírlevél formájában.

A tudományos közleményeket a szerkesztőség lektoroknak adja át véleményezésre. Közlés csak egyetértő lektori vélemény, illetve a javasolt módosítások elvégzését követően lehetséges.

A cikkek szerzői vállalják, hogy az általuk elküldött írás saját forrásból származik, illetve a felhasznált anyagokat (publikációkat, illusztrációkat, képeket stb.) mindenkor pontosan feltüntetik. Írásaiknak jogi és egyéb adatvédelmi kérdéseiben felelősséget vállalnak.

A német nyelvű szakmai cikkeink magyar fordítását az Oemus Media AG Kiadó engedélyével szerkesztettük lapunkba. A fel nem használt kéziratokat, fotókat nem őrizzük meg, és nem küldjük vissza.

A hirdetések tartalmáért nem vállalunk felelősséget. A gyártó, illetve forgalmazó cégek kérésére közzétett cikkeket keretbe foglalva közöljük és (x)-szel jelöljük, azok szakmai tartalmáért a szerkesztőbizottság nem vállal felelősséget.

Kónuszos felépítmény kapcsolat

Kisebb mikromozgás

Erősebb és egyenletesebb csatlakozás

Platform switching

DR. JASON SMITHSON

DR. ALEKSANDER BUDOVSKY

DR. IGNAZIO LOI

DR. GHASSAN YARED

ROBERT

DR.
‘TITO’ NORRIS
DR. DANIELA GARBO
DR. OMAR HAMID
DR. ADRIAN LUSSI
DR. MINAS LEVENTIS
PROF. GANG SHEN
DR. JUAN CARLOS ORTIZ HUGUES
DR. ALBERTO SALGADO
PROF. LOUIS HARDAN
DR. KIA KARIMI
DR. SERHAT KÖKEN

EARLY BIRD JEGYEK 2025. MÁJUS 31-IG 30%

Szőnyi Balázs

A NEW YORK DENTAL A 30 ÉVES SIKERTÖRTÉNET UTÁN A KÖVETKEZŐ FEJEZETRE KÉSZÜL

Interjú Deutsch Róberttel, a cég tulajdonosával

A New York Dental elindulása két fiatal fogtechnikusnak köszönhető, mely mára az egyik vezető és prémium fogászati kereskedéssé nőtte ki magát a hazai piacon. Az akkoriban még az Egyesült Államokban élő és dolgozó ambiciózus fiatalember másodmagával indította útjára a vállalkozást.

A cég izgalmas és példamutató karrierje még csak a kezdet. Erről beszélgettünk Deutsch Róberttel, a cég vezetőjével és alapítójával.

Az idén 30 éves New York Dental Kft.-t másodmagaddal, a Dental Press kiadó tulajdonosával és vezetőjével, Laczkó Tamással alapítottad meg, akinek a tulajdonrészét később, 1999-ben kivásároltad. Mikor és hogyan határoztátok el magatokat, hogy létrehoztok egy fogászati kereskedést? Milyen nehézségekkel néztetek szembe a kezdetekkor? Miért épp New York városáról kapta nevét a cég? Tamással egy osztályba és egy fogtechnikai iskolába jártunk. 1993-ban vagy 1994-ben épp hazalátogattam Magyarországra, ekkor kezdtem el felmérni egy fogászati depó megnyitásának a lehetőségét. Akkor egy fogtechnikai laboratóriumban dolgoztam külföldön és arra gondoltam, hogy

az általam már jól ismert és bevált eszközöket, anyagokat –amik itt még újdonságnak számítottak – jó lenne behozni és megismertetni a hazai fogtechnikai piaccal. Mivel életvitelszerűen az Egyesült Államokban éltem, ezért elképzelésem megvalósításához kerestem egy szakmailag felkészült partnert. Így alakult, hogy Tamással egy sör mellett beszélgetve üzleti tervemről, pozitív visszajelzést kaptam. Négy partneri lehetőség közül Tamás mellett döntöttem, és vele együtt 1994-ben megalapítottuk a New York Dental Kft. fogászati kereskedést. A névválasztás annak köszönhető, hogy New Yorkban éltem. A 90-es években máshogy nézett ki a fogászati piac és mivel nagyon jól hangzott ez a név, mindketten nagyjából egyszerre mondtuk ki, így kapta a cég a New York Dental nevet. Az induláskor nagyobb nehézségekre nem emlékszem. Az áruért mi magunk mentünk ki a repülőtérre, mi voltunk az értékesítők, kimentünk a vevőkhöz és vittük a „cuccot” magunkkal. Én egy nagy kék vászon sporttáskában, Tamás pedig egy nagy fekete kemény fedeles bőröndben. Persze nem mindig volt verőfényes napsütés, illetve nem mindig tudtunk leparkolni közvetlenül a labor előtt. Ilyen körülmények között cipeltük az árut a kocsiból a laborba, majd vissza. Azt hiszem, ez egy apró nehézség volt, ha lehet annak nevezni, de élveztük minden pillanatát.

Mesélj kérlek kicsit magadról, ha jól tudom fogtechnikusként indult a karriered, viszont egy kereskedéshez nélkülözhetetlen a cégvezetéshez tartozó olyan skill-ek vagy tapasztalatok megléte, mint az értékesítés, a logisztika, a beszerzés, menedzsment vagy épp a marketing. Hogyan sikerült ezeket elsajátítanod? Milyen segítséget adott neked a fogtechnika a termékek kiválasztásánál? Mik voltak azok a fontos tényezők, amikre alapozva építkeztél?

Fogtechnikusként végeztem, majd nagyjából két-három hónapot Mátyás téren dolgoztam az akkori Fogtechnikai Vállalatnál, mely nagyüzemi labor volt. Nagyon jó volt a társaság és rengeteget tanultam az ott dolgozó kollégáktól, főleg a Tamás Jolitól, aki mellett közvetlenül dolgoztam. Nagyon

Szugló utcai bemutatótermünk irodájában.

szuper fogsoros volt, a szakmából tőle nagyon sokat tanultam, amit azonnal tudtam hasznosítani, amikor Amerikába kerültem, ahol jó pár évig dolgoztam fogtechnikusként. Floridában kezdtem, majd New Jersey-ben, végül pedig New Yorkban kötöttem ki, egészen pontosan Long Island-en, valamint bent a belvárosban Manhattanben. Elég jól alakult a szakmai pályafutásom, de inkább az értékesítés felé kacsingattam, az volt az álmom. Egyszer jelentkeztem egy céghez nemzetközi értékesítőnek, de nem vettek fel, utána döntöttem el, hogy létrehozok magamnak egy munkahelyet.

A nemzetközi

ér -

tékesítés, de maga az értékesítés is mindig vonzott, főleg így együtt a fogászatban szerzett tudásommal

és a szakmai tapasztalatommal. Még a fogtechnikai pályafutásom közepén kipróbáltam magamat mint értékesítő, igaz más területen, de nagyon élveztem.

Az értékesítéshez az elmúlt 30 évet figyelembe véve úgy gondolom, van érzékem, és ezt a kettőt ötvözve sokkal inkább szeretek az emberekkel foglalkozni, mint a fogakkal bíbelődni. Amikor elmegyek a partnerekhez, mindig olyan, mintha barátokhoz mennék és igazából nem csak olyan, hanem az is. A barátaimhoz megyek el, elbeszélgetünk, aztán persze a nap végén örülök annak is, ha vásárolnak tőlünk, hiszen erről szól az értékesítés.

Mára igen széles termékpalettát sikerült kiépítenetek, a legnagyobb nevek megtalálhatóak a kínálatotokban (pl. Whip Mix, Noritake, Shofu, Amann Girrbach stb.). Milyen cégekkel indultatok el az elején és mekkora a teljes portfólió napjainkban? Melyik gyártó áll hozzád a legközelebb és miért?

Az, hogy széles a paletta, nem biztos, hogy több pénzt is jelent a cégnek. Szeretnénk optimalizálni a kínálatot és egyre inkább a digitális fogászatra fókuszálni. A legelején főképp amerikai és egy kisebb koreai céggel indultunk el, melynek tulajdonosa később jóbarátom is lett. Minimális készlettel kezdtünk. A bővülés úgy indult, hogy volt egy amerikai cég New Jersey-ben, akik az akkor nagyon népszerű epoxigyantát gyártották. Az egyik vevőnk, Csemez András, a Qualident labor tulajdonosa jelezte, hogy neki ez az anyag kellene, mert régen ezt használta Tepli Tamás laborjában, és ha be tudjuk nekik szerezni, tőlünk fog vásárolni. Nekifeküdtem és felkerestem a céget. Örömmel fogadták, hogy Európában szeretnénk forgalmazni a terméküket. Többségében fogorvosi anyagokat gyártottak, kijelentették, hogy kizárólag akkor adják nekünk ezt az anyagot és a kizárólagosságot Magyarországra, hogy ha az egész palettát visszük. Akkoriban jelent meg a Revolution nevű folyékony kompozit. Azért kapta ezt a nevet, mert ez volt az első folyékony kompozit anyag a világon. A cég képviselője videóanyagot adott – akkor még videókazettán –, hogy nézzük meg, rajta van-e minden fontos információ, emellett pedig elmondta a tudnivalókat is a termékről. Tamás a belvárosban található Stefánia palotában kibérelt egy termet és megszervezett egy kisebb expo kiállítást szendvicsekkel, italokkal, melyre meglepően sokan eljöttek. A rendezvényre volt egy viszonylag szűk termékpalettánk. A Revolution kompozit anyag videóanyagát lejátszottuk a jelenlévőknek. Elmagyaráztam, hogy milyen jó ez az anyag, és hogyan lehet használni. Azt mondtam el, amiket a videóból láttam én is. Az emberek tátott szájjal hallgatták és úgy vitték a terméket, mint a cukrot. Így indult el az E&D nevű céggel való együttműködésünk, mely odáig fejlődött, hogy konténernyi mennyiséget hoztunk be tőlük többféle termékből. Minőségi termékek voltak, jelentős forgalmat bonyolítottunk a fogorvosi anyagokkal egészen addig, amíg a Kerr meg nem vette a gyártó céget.

Természetesen ezek után Kerr dealer-ek lettünk, ez azzal járt, hogy a többi Kerr márkát forgalmazó kereskedés is megkapta az értékesítési jogot a termékre, így megváltozott a piaci környezet.

Folyamatosan kerestük az új termékeket, beszállítókat. Egyik gyártó ajánlotta a másikat, ennek köszönhetően alakult ki egy nagyobb termékportfólió a társaságunknál. Mindezek mellett a kiállításokon való részvétel is fontos volt, hiszen személyesen találkozhattam a gyártókkal, a partnereinkkel, és azokkal is, akikkel az amerikai labormunkám során együtt dolgoztam.

2005-ben költöztetek új saját irodaházba a Frangepán utcába, ahol nem csak eladótér, raktár és irodák, hanem egy képzési központ is kiépült, mely úgy gondolom, hatalmas mérföldkő egy cég életében. Előtte hogyan nézett ki a New York Dental irodája, hogyan oldottátok meg a logisztikát eredetileg? Milyen célokat tűztetek ki az új épülettel kapcsolatban,

hogyan terveztétek meg a belső elrendezést? Milyen lehetőségek nyíltak meg a kereskedés előtt ezzel a beruházással? Elindultunk a papám cselédszobájából és a Tamás anyósánál lévő nyári konyhából kialakított raktárból. Amikor ez már kezelhetetlenné vált, találtunk egy új helyet a volt Fogtechnikai Vállalat Mező Imre úti telephelyén, ahol kibéreltünk egy raktárhelyiséget a Kovács Marikától. Gyakorlatilag ott már egy helyen volt minden és persze a lényeg, hogy a városban volt, így könnyebben kezelhető volt a logisztika és az értékesítés. Ide érkezett meg az első konténerszállítmányunk is, melyben gipszet rendeltünk. Tamás javaslatára nem költöttünk rakodókra pénzt, mondván, mi is ki tudjuk pakolni a 45 kilós hordókat. Természetesen másnap egyikünk sem tudott megmozdulni. Miután ezt a kis raktárat kinőttük, a Pi Dental-tól béreltünk helyet Zuglóban a Szugló utcában, majd ezt kinőve Pálfalvi Imre felajánlotta, hogy kibővíti a helyünket, amit viszonylag szépen meg is csináltunk bemutatóteremmel, irodával és egy raktárral. Egy idő után nagyon pici lett ez a raktárrész is, pláne amikor gumikesztyűt is kezdtünk forgalmazni. Az Örs vezér terénél a gumikesztyűk részére kibéreltünk egy helyet, majd később még egy pincét is. Öszszesen már három helyen raktároztunk, aminek köszönhetően eljutottunk ismét oda, hogy teljesen átláthatatlan volt a logisztika.

Ekkor jött el a pont, hogy muszáj továbblépnünk a fejlődésünk érdekében. Az új helyünket végül a XIII. kerületi Frangepán utcában találtuk meg.

kedőcéggé nőttétek ki magatokat. Sikerült minden üzleti célotokat elérni, amit kitűztetek? Vannak-e olyan céljaid, amiket szeretnél a New York Dental-lal még elérni? Milyen nehézségek vagy helyzetek kerültek a céged elé az eddigi karriered során, és hogyan tudtad ezeket megoldani?

Pár dolgot ma már biztosan egészen másképp csinálnék. De bízom benne, hogy a jó dolgok azért nagyobb arányban vannak a hibákkal szemben, amit elkövettem az elmúlt évek leforgása alatt. Viszont ezekből a hibákból szeretnék most építkezni. A fogászati mellett egy nagyon fontos lábunk, a munkaruházati divíziót is szeretném sokkal nagyobbra kiépíteni és fejleszteni. Itt többféle elképzelés is van a B2B, az online értékesítés, valamint a retail hálózat kiépítési területén. Természetesen nem mehetünk el a fogászat mellett sem. A digitális iparban és az ehhez tartozó fejlesztéseinkben pl. a digitális oktatólabor kialakításában, mindenképp egy fontos és megvalósítandó célt látok.

Egy nagy fejlesztéssel a New York Dental-t szeretném az online kereskedelem vonalán megerősíteni és ebbe az irányba elvinni. Különös hangsúlyt fektetünk az online kereskedelemre és a social media felületeinken való kommunikációra.

Nem csak Magyarországon, de a környező országokban is sikerült terjeszkednetek, így mondhatjuk, hogy bőven kinőttétek magatokat nem csak a telephelyeiteken, de a hazai piacon is. Románia mellett Horvátországban is megnyitotta kapuit a New York Dental fogászati kereskedés. Mikor jött el a cég életében az a pillanat, hogy terjeszkedni fogtok a környező országokban? Milyen felmérések előzték meg a nyitást?

Romániában hál’ istennek nagyon sikeresen és jó vezetéssel működik a cég, valamint Horvátországban is jelen vagyunk. Ezeken kívül vannak partnereink a környező országokban, főleg a kelet-európai régióban, de szinte mindenhol a világon. Velük közösen értékesítünk immáron az egész CEE régiót lefedve. A terjeszkedésünk kezdetén Tamás elment Romániába egy szakmai kiállításra, mely az első külföldi megjelenésünk volt, így indultunk el Romániában.

A Pi Dental-nak volt egy magyar értékesítője Prágában, Szűcs Dezső, akivel így már Csehországban is képviseltettük magunkat. Terjeszkedésünk az egész kelet-európai régióban akkor indult el, amikor nem kaptam meg egy nemzetközi értékesítő pozíciót egy nagyobb amerikai cégnél. Akkor döntöttem el azt is, hogy Magyarországra költözöm. Frangepán utcai központi épület.

A földszinten van a raktár, az első emeleten található a bemutatóterem és a vevőszolgálat, az irodák a második szinten vannak, a legfelső emeleten az oktatólabor helyezkedik el. Szeretnénk fölépíteni és kialakítani egy digitális, a mai kornak megfelelő oktatólabort, úgyhogy szép lassan ebbe az irányba megyünk és terjeszkedünk az épületen belül. Amilyen gyorsan csak lehetséges, próbáljuk kialakítani a digitális oktatólabort, és a maximális kihasználtság érdekében szeretnénk növelni a kurzusaink számát is.

Pár éve a munkaruházat értékesítésével bővítettük tevékenységünket, ami olyan fejlődésnek indult, hogy már kinőtte a jelenlegi bemutatótermet, így a közeljövőben ezen a fronton is átalakítást tervezünk.

Fantasztikus az a sikertörténet, amit eddig a New York Dental-lal elértetek, az egyik legkeresettebb fogászati keres-

Nagoyai repülőtéren a japán túra végén.

Feladtam az amerikai pozíciómat. Ez volt az a pillanat, amikor elkezdtem komolyan felépíteni a New York Dental-t, már főállásban. Az adott országok területén komoly piackutatást nem igazán végeztünk, de én pl. személyesen ellátogattam a régió fogászati szakkiállításaira, hogy felmérjem magunknak a konkurenciát és a helyi fogászati piac szereplőit. Helyben végeztük a piackutatást, hogy az általunk forgalmazott és képviselt termékek mennyire lennének keresettek. Ez alapján kerestünk az adott régióban kereskedelmi partnereket, hogy mi láthassuk el ezeket a területeket.

Egy cég sikereit a jó szakembereik, az összetartó csapatmunka és kiváló strukturális felépítés jellemzi. Hogyan épül fel a cég jelenlegi struktúrája? Milyen munkakörök kapnak fontos szerepet a New York Dental sikerében? Mi az a plusz, amit biztosítotok a munkavállalók felé? Vannak-e számukra olyan képzések, amivel naprakészek és magabiztosak lehetnek a szakmai mindennapokban? Egy sikeres cég mindenképpen egy jó csapat gyümölcse, ez pontosan így van. Úgy gondolom, egy kis és egy nagyobb méretű cég alapstruktúrája nagyjából meg kell, hogy egyezzen. Egy kisebb cégnél nyilván nem lehet minden területet lefedni külön vezetővel, külön emberrel. Ezek a szerepek átfedésben vannak, tehát néha ugyanaz az ember más munkát is el kell végezzen. Nálunk például a beszerzésen, az exportot külön ember látja el, aki a Magyarországon kívüli országok részére dolgozik, de besegít a beszerzésnek is. A marketingcsapat 3 főből áll, akik a marketingvezetővel együtt szorosan együttműködve dolgoznak egy külsős marketingcéggel karöltve. Az értékesítési csapat mellett fontos szerepet játszik a pénzügyi osztály és a vevőszolgálat is, ahová most keresünk embereket a vevőszolgálati vezetővel együtt. Természetesen mindezeket kiszolgálja a több ezer terméket kezelő raktár, a raktárvezetővel az élen.

Milyen elvárásokat fogalmazol meg az új leendő kollégáid felé, milyen tapasztalat és tényezők számítanak, amikor munkaerőt kerestek? Úgy tudom, most is több nyitott pozíciótok van.

Az elvárások a kollégák fele az, hogy a céget sajátjuknak érezzék. Az ügyfeleinket tartsák a legfontosabbnak és mindenképp maximálisan jó szolgáltatást nyújtsanak a vevőknek. Ha egy mód van rá, mindenki úgy végezze a munká-

ját, lehetőleg hiba nélkül, ahogyan ő is szeretné, hogy kiszolgálják fordított helyzetben. Nyilván előfordulnak hibák, de a célunk az, hogy hiba nélkül szolgáljuk ki a vevőinket. Most is van több nyitott pozíciónk, ahová keresünk új és jó képességű kollégákat. Ilyen az értékesítés, illetve az értékesítés vezetését jelenleg én látom el, de erre is keresünk egy megfelelő embert.

Nagyon sok jó és igényesen összerakott képzésen vettem nálatok részt még aktív fogtechnikus karrierem idején. Többek között Nikos Mekias képzésén 2016-ban, aki 8 évvel később idén is tartott egy előadást a Shofu kerámiáról. De, ahogy elnézem, Toboz Tímea is tart kurzust esztétikai leplezés témájában a Noritake-t képviselve, Elekes Zoltán az Artex artikulátor rendszeréről, az Aman Girrbach-ot képviselve. Hogyan és mi alapján választjátok ki a képzéseket és az előadókat? Milyen képzéseitek lesznek még a jövőben a fogtechnikus szakemberek számára?

Először is meghatározzuk a témát, amiben szeretnénk kurzust tartani, utána a témán belül meghatározzuk, hogy az adott terület mely szegmensére fókuszálunk. Ezek után kell megtalálnunk hozzá az előadót, aki nyilvánvalóan az adott eszközöket vagy termékeket használja.

Ezután kell a gyártóval egyeztetni, hogy az ő listájáról kérjünk fel szakembert, vagy mi keressünk előadókat. Magyarországon is van nagyon sok jól képzett technikus, akik eltudják látni ezt a feladatot. Nagyon sokáig Balogh Zsolttal csináltuk a Noritake kurzusokat, amik nagyon jók voltak. Próbálom Zsoltot visszacsábítani, mert véleményem szerint ő a magyar fogtechnikus társadalom és a fogászat hiányzó „színfoltja”. Toboz Timivel nagyon jó kurzusokat tartunk, a nagy érdeklődésre való tekintettel, új kurzust kell hirdetnünk. Résztvevőink minden alkalommal elégedetten jeleztek vissza a kurzusokkal kapcsolatban. Elekes Zoltán Artex artikulátor rendszerével kapcsolatos kurzusa szintén nagyon jól sikerült és szeretnénk is a jövőben vele is folytatni az együttműködést. A Noritake-től mindig nagyon komoly képességű és képzett technikusokat tudunk felkérni világszínvonalú magyarországi kurzus megtartására.

Egyébként itt jegyezném meg, hogy Aki Yoshida, akit sokan a világ legjobb fogtechnikusának tartanak, élete első kurzusát itt Magyarországon az Interdental stúdióban, a mi szervezésünkben tartotta. Vele nagyon sok további kurzust is szer-

A cég 10 éves évfordulójára rendezett születésnapi bulin a Spoon hajón.
Kazunobu Yamadával egy háromnapos kurzuson Nagoyában.

veztünk és ennek is köszönhető, hogy Aki nagyon népszerű előadó lett hazánkban is. Nagyon sok név jött el hozzánk előadni, pl. több alkalommal volt nálunk Kazunobu Yamada. A 30 éves évfordulónk alkalmából szintén nemzetközi ismert szakembert hívnánk meg egy színvonalas kurzus erejéig, de erről még nem beszélhetek, hogy ki lesz a választottunk.

A cégek többsége ma külsős logisztikai partnerrel dolgozik, de nálatok van saját céges autó flotta is. Hogyan néz ki a logisztika és raktározás, külsős partnert vesztek igénybe? Milyen szoftveres és raktározási megoldásokat vesztek igénybe a gyorsabb kiszolgálás érdekében?

A logisztikát házon belül oldjuk meg, természetesen szoftveres megoldásokkal, vállalatirányítási rendszerrel működik minden. Házon belül van a logisztika, a raktározás, és a kiszállítás. Kiszállításra egyébként a saját flotta mellett a GLS futárszolgálatot is igénybe vesszük országon belül, valamint Horvátországba is.

A kollégák által „közkedvelt” éves leltárunk.

Manapság igen fontos egy cég megítélése, vagyis reputációja, melyet különböző eszközökkel, kedvezményekkel, kiszolgálással, vagy a user experience – vagyis vásárlói élmény – javításával és fejlesztésével lehet elérni. Mik azok az előnyök, melyek kiemelnek titeket a piacról? Mit kapnak azok a szakemberek akár fogtechnikus, akár fogorvos, akik a New York Dental-nál vásárolnak? Úgy gondolom, azt, hogy mi az előnyünk a piacon, inkább a vevőinktől kellene megkérdezni, ők hogyan látják ezt. Személy szerint nagyon érdekelne, hogy mit gondolnak rólunk. Szeretném, ha az jellemezné a New York Dental-t, hogy magas színvonalú a szolgáltatásunk, nyugodtan és bizalommal fordulhatnak hozzánk, kéréseikre nálunk mindig választ kapnak, ha pedig rendelést adnak le, nem kell aggódniuk, hogy másnap megkapják-e azt, amit várnak. Úgy gondolom, hogy a TOP szolgáltatásnak ma komoly értéke van. Igyekszem olyan kollégákat és megoldásokat találni, melyek elérhetővé teszik mindezt. A digitális oktatólabort is ezzel a szemlélettel szeretnénk kialakítani.

A 21. század egyik legfontosabb hozománya a digitális „kényelem”, amit a Covid csak felgyorsított. Ebben mind a vásárló, mind pedig a dolgozók kényelmesebben, gyorsabban és átláthatóbban tudnak rendelni és dolgozni. Az E-commerce az aranykorát éli, az automatizált és webshopos megoldások során az ügyfél kényelmesen és átláthatóan tudja megrendelni, amit szeretne, a cég felé pedig szoftveresen automatizálva érkezik meg az egész jóval kevesebb munkát adva, mint akár tíz évvel ezelőtt. Milyen szoftveres megoldásokat vesztek igénybe? Mennyire lett automatizált a rendszer nálatok? Mesélj kicsit a webshopotokról? Annak ellenére, hogy még mindig bőven életben van az analóg fogászat, egyre nagyobb az érdeklődés a digitális fogászat iránt. Ennek megfelelően kell portfóliónkat alakítani és támogatni kollégáink szakmai képzését, hogy bármilyen kérdés esetén segítséget tudjanak nyújtani ügyfeleinknek. Az értékesítésben – az e-commerce, a social media, a webshop szerepe egyre inkább felértékelődik, mind nagyon fontos eszközök napjainkban. Ezekre kiemelt figyelmet kell fordítanunk. Természetesen ez nem válthatja ki a hagyományos értékesítést, mivel az emberi kapcsolatoknak különleges jelentősége van, és nagyon hatásos tud lenni, hogy ha jól csináljuk.

A területi képviselők, vagy értékesítők munkája mennyire fontos a cég életében? Milyen előnyt biztosítanak az ügyfelek részére a személyes jelenlétükkel? Mivel kereshetik őket a szakemberek?

Korábban már említettem, hogy nagyon fontos szerepük van, és keresünk is szakmailag felkészült és nagyon jó kollégákat. Elsősorban az új digitális fogászat világába, amit még mindig újnak lehet talán nevezni. Kiemelten fontos, hogy az értékesítő tudja és ismerje a digitális technológiát és akár szakmai tanácsadója is legyen a terméknek, melyet a laborok részére értékesíteni szeretne. Az a célunk, hogy egy értékesítőhöz ne csak olyan kérdéssel fordulhassanak, hogy mennyibe kerül egy termék, hanem szakmai kérdésekre is tudjon válaszolni, ami valóban nagyon értékes a piacon. Ilyen szakember kollégákat keresünk az értékesítési területre, ami elég komoly kihívásnak bizonyul.

Ha már a digitalizációnál tartottunk, a fogászat és főleg a fogtechnika egyre inkább a digitális megoldások felé tart, melynek köszönhetően folyamatosan újabb és gyorsabb termékek jelennek meg a piacon. A digitális lenyomatvétel, a felhőalapú szolgáltatások, a szkennelés, a CAD/CAM marás és tervezés, valamint a 3D nyomtatás már a mindennapok része lett. Mikor lépett be a kereskedésed a digitális fogászat világába? Mik voltak az első termékeitek, és milyen digitális termékek és megoldások elérhetőek a kínálatotokban? Lehetséges-e kipróbálni, megnézni a központi irodátokban? Milyen lehetőségek, pl. pályázatok, vagy hitelkonstrukciók elérhetőek nálatok?

A digitális fogászattal kb. 15 éve kezdtünk el foglalkozni. A Noritake kijött a szkennerével, mely első, ránézésre inkább „kenyérsütő gépre” hasonlított, mint fogászati szkennerre. Akkoriban ráadásul még nem is nagyon voltak marógépek Magyarországon, de ennek ellenére mi vettünk két szkennert, és Amerikába küldtük a fájlt faragásra. Egyet az itthoni cégünkbe és egyet pedig Prágába. Akkor a szkenner még nagy

dolog volt. Beszkenneltük a mintát, elküldtük a fájlt Amerikába, cserébe onnan küldték ide a munkát. Itt ismét kiemelném, hogy nem volt faragógép. Ez egy darabig működött, de nem igazán volt életképes. Majd elkezdte gyártani a Noritake a Katana nevű disc-et, azzal kezdtünk el foglalkozni, majd később az Amann Girrbach gépeit kezdtük el forgalmazni. A 3D nyomtatás most kezd igazán berobbanni a piacon. Jelenleg azon dolgozunk, hogy a gépeket személyesen is meg lehessen majd nézni nálunk. Az a célunk, hogy oktatólaborunkban helyezzük el ezeket a digitális gépeket, amivel oktatást is tudunk tartani. Így akár be is lehet hozzánk jönni, meg lehet nézni vagy ki lehet próbálni az új eszközöket. Hitelkonstrukció is elérhető termékeinkre. Az esetek nagy részében egyébként a nagyobb értékű CAD-CAM gépeket és digitális eszközöket a laborok akkor vesznek, amikor valamilyen aktív pályázat van a piacon és pályázati pénzből meg tudják oldani a fejlesztést.

Kollégákkal és az American Eagle képviselőjével, Steve Pohlmannal egy szakkiállításon.

A Dental World konferencia és expo rendezvényen a kezdetek óta jelen vagytok, általában látványos és szép standdal. Milyen lehetőségeket kapnak a hozzátok látogató szakemberek a rendezvény teljes ideje alatt? Szerveztek saját kurzust, vagy előadást a standotoknál, vagy a konferencián?

A Dental World konferencián mindig kedvezménnyel értékesítünk, amit későbbi vásárlás során lehet érvényesíteni. Az idei Dental World-ön pl. a munkaruhák esetében már tervezzük, hogy ott helyben is meg lehessen vásárolni. Ezen kívül rendeléseket veszünk föl és a rendezvényen leadott rendeléseket szállítási díj nélkül szállítjuk ki. Ez egy praktikus, mindenki által kedvelt megoldás, hiszen nem kell kivinnünk a rendezvényre a fél céget, és a vevőnek sem kell cipekedni. Így egyszerűen csak leadják a rendelésüket, melyre ott helyben kedvezményt kapnak, és mi néhány napon belül ingyenesen kiszállítjuk. A Dental World egy biztos pont a cég életében, ahova minden évben megyünk. A legszínvonalasabb rendezvény nem csak az országban, de a közvetlen régiónkban is. Tamás tényleg nagyon ügyesen és szívből csinálja.

A New York Dental elkötelezett a társadalmi szerepvállalásban, melynek során rászorulókon segítetek, vagy különböző felvilágosításokat tartotok fogászati higiéniával kapcsolatban. Milyen társadalmi ügyekben vesztek részt, és hogyan segítetek a rászorulókon?

Rendszeresen adományozunk iskolák részére, főleg szájhigiéniai termékekből összeállított csomagokat elsősorban rászoruló gyerekek részére, de mindig van valamilyen adományozási megmozdulás, ami terven kívül esik, és ha tudunk, akkor nagy örömmel részt is veszünk rajta. Az, hogy adományozunk és részt veszünk komoly társadalmi ügyekben, számunkra teljesen természetes dolog.

Végezetül, kérlek mesélj a jövőbeni céljaitokról. Terveztek-e bővítést, fejlesztést vagy épp új országokba való belépést? Hogyan látod és képzeled el a New York Dental-t 10 év múlva?

Elsősorban a munkaruházati divíziót szeretném jelentősen fejleszteni. Terveink között szerepel a kiskereskedelmi hálózat bővítése, több mintabolt megnyitása országosan. Jelenleg Budapesten kettő, Debrecenben pedig egy boltunk van. További terveink között szerepel, hogy mielőbb más városokban, illetve a fővároson belül Budán is megjelenjünk. Főleg azokban a vidéki és nagyobb városokban szeretnénk üzletet nyitni, ahol orvosi vagy fogorvosi felsőoktatás van, de pl. Győrben is gondolkodunk, ott is szeretnénk majd üzletet nyitni. Lehetséges, hogy a munkaruházati láncunkat más országokra kiterjesztenénk.

„Mindenképpen úgy szeretném elképzelni a New York
Dental kereskedést 10 év múlva, hogy nagyon jó kollégákkal körbevéve működjünk. Szeretnék részt venni továbbra is az értékesítés

ben, a vevők látogatásában.

Szeretnék a cég működésében tevékenyen részt venni, de olyan formában, hogy a kollégákra és a menedzsmentre bármikor rábízhassak bármit, és egyre inkább rájuk tudjam hagyni a napi feladatok menedzselését. Jelenleg a kislányom gimnáziumba készül és szeretnék vele minél több időt eltölteni. Ahhoz, hogy minél több időt tölthessek vele, nagyon jó és talpraesett kollégákra van szükségem. Hálás vagyok a jelenlegi kollégáknak a munkájukért, de ahhoz, hogy tovább tudjunk lépni, hasonlóan jól képzett, új kollégákat keresünk, vagyis agilis és lelkes munkaerőt. Az elmúlt 30 év sikerei után bízom benne, hogy 10 év múlva a New York Dental Kft. továbbra is sikeresnek mondható cég lesz majd a piacon, ahol a kollégák is jól érzik magukat és a vevők is szívesen járnak hozzánk vásárolni.

PORTRÉ „A páciens panasza az elsődleges, törekedjenek azt lehetőleg gyorsan és humánusan megoldani…”

ÚJ GENERÁCIÓ

„A folyamatos tanulás és kutatás kulcsfontosságú a szakmai fejlődésben”

MED. DENT

Interdiszciplináris fogászati kezelés myofunkcionális készülék, alignerek és protetikai ellátás alkalmazásával

MED. DENT Abradált frontfogakkal rendelkező felnőtt páciens interdiszciplináris kezelése

CÍMLAPSZTORI

Florin Stoboran egy világhírű fogtechnikus mester román és magyar vérrel

FOGTECHNIKUSOK SZAKMAI LAPJA Életet lehelni monolit megoldásokba

Egy labortulaj, aki mert változtatni, és sikeres lett! LABORBEMUTATÓ LABORATÓRIUM

LABORATÓRIUM

A leplezőkompozitok (analóg) világa

FULL DIGITÁLIS – HEXAGONÁLIS

– FENOMENÁLIS

Egyedi teleszkópos ellátás

Esetleírásukban a szerzők teleszkópos híd megoldását ismertetik digitális munkamenettel. A világosan strukturált hexagonális ellátási koncepcióval dolgoznak, DHV. A felmerülő kérdések: aktuálisan mi lehetséges, hogyan alkalmazhatók e technológiák minőségileg igényes fogpótlás gazdaságos és reprodukálható előállítására? Mennyi jól beváltat kell még betagozni, hol képződnek új szempontok a páciensellátásban? Az eredmény döntő.

1. kép: Egyedi teleszkópellátás teljesen digitálisan – vízió vagy valóság?

Számos leplezőtanfolyamom és előadásom során hetente látogatok meg laboratóriumokat. Saját leplezéstechnikám oktatása mellett mindig fontosak számomra a laboratóriumról szerzett benyomások, mit csinálnak és mivel foglalkoznak manapság a tulajdonosok. Az elmúlt két évben feltűnő volt, hogy a digitális teleszkóptechnika fontos beszédtéma. A nagyszámú megrendelés és az egyidejűleg jelentkező szakemberhiány miatt a lehető legtöbb dolgot szeretnék digitalizálással kompenzálni. Természetesen újólag felmerülő kérdés, mi lehetséges ténylegesen, és mi megy már a fogpótlás minőségének rovására. Ennek a kérdésnek néztünk utána saját tapasztalatokat gyűjtve dr. Wolfgang Bartsch-csal (1. kép).

Esetbemutatás

Középkorú páciens, felül négy maradék fog, alul egy szemfog (2. kép). Olyan pótlást akartunk készíteni, amelyik a maximálisan elképzelhető ideig nyújt elégedettségre okot adó komfortot. Ehhez mi a teleszkópoknak szinte utánozhatatlan alkalmazását látjuk megoldásnak. A teleszkóp szilárd,

biztonságos rögzítést biztosít a hidaknak. A közvetlen kivehetőség következtében a vörös-fehér esztétika összhangja tökéletesen megoldható. Tisztításhoz a páciens egyszerűen távolíthatja el a hidakat. Az öregedés figyelembevételével a szekunder konstrukció megfelelően módosítható, kiegészíthető. Bár elsőre nem a legkedvezőbbnek tűnő megoldások, hosszú távon a teleszkópok példa nélküli sikerességűek.

Eljárás

Az „analóg vagy digitális?” kérdéstől függetlenül mindig „hexagonális ellátási koncepciónk” szerint dolgozunk. Ez az egész csapat számára nagy biztonságot nyújt a kezelés során, mivel az egyes lépések tisztán kidolgozottak. A pótlástól függetlenül feláll egy utazási terv, ami precíz elvárásokat szövegez meg a labor számára, így a rendelő is megfelelő részeredményekben fog részesülni (3. kép). Mennyire egyszerű az együttműködés, néhány labor már megtapasztalhatta, amelyek meghívták ügyfeleiket egy szemináriumestre, ahol bemutattuk „hexagonális ellátási koncepciónkat”.

2. kép: Megtartandó maradékfogazat.

A HEXAGONÁLIS ELLÁTÁSI KONCEPCIÓ HAT LÉPÉSE

A HAT LÉPÉS

ANAMNÉZIS

ELŐKEZELÉS

FUNKCIÓANALITIKUS BEAVATKOZÁSOK

ESZTÉTIKUS ELŐKÉSZÜLETEK FUNDAMENTÁLIS INTÉZKEDÉSEK

PROTETIKA

3. kép: A „hexagonális ellátási koncepció” minden kiindulási helyzetből strukturáltan sikerhez vezet.

A páciens

A 49 éves páciens kb. 19 éves hidakkal érkezett a rendelőbe, amelyek már problémát jelentettek számára. „Hexagonális ellátási koncepciónk” ezen első fázisában – anamnézis – a páciens elmeséli panaszait, és ismerteti a kezelésre vonatkozó elvárásait. Ennek alapján állítjuk össze a kezelési tervet, amelyet a következő ülésben, a fogtechnikus jelenlétében ismertetünk vele. Esetünkben 400 km a távolság a labor és rendelő között, melynek következtében a fogtechnikus Facetime-on (Skype) keresztül volt jelen. Így a páciens a teljes csapattal megismerkedett, a fogtechnikus képernyő segítségével bemutathatta a megoldási variációkat, és a minőségi különbségek részleteit is ismertethette.

A páciens teleszkópos hidak mellett döntött (ódzkodunk a fogsor szó használatától, mivel a híd attraktívabb megoldásnak értékelődik).

Felül elégségesnek tűnt a négy megmaradt fog pillérként, az állkapocsba azonban pillérnek további három implantátum beültetését javasoltuk a stabilitás érdekében.

Az implantátumok tervezése, a további előkezelések a funkcióanalízis intézke-

dései (CMD-állapotfelmérés [– cranio-mandibuláris – a ford. ]) a rendelő kezében vannak. Az implantátumok felszabadítását követően kezdhették a fogcsonkok kialakítását.

A digitális lenyomatvétel

A kezdetben említettük, célunk a digitális technológiák maximális kihasználása volt. Fontos volt számunkra, hogy semmilyen minőségi kompromisszumba ne kelljen bocsátkozni. A digitális lenyomatvétel a Kulzer cég cara i700-as intraorális szkennerével történt (4. kép). Mint számos ma használatos készülék, ez is egy optikai rendszer, amely minden, a kezelőorvos számára is látható területet beolvas. Akárcsak az analóg eljárásban, itt is szükséges a szulkusztágító fona-

4. kép: Az új kábelmentes cara i700-as intraorális szkenner.

5. kép: A preparált szituáció, előkészítve beolvasásra.

6. kép: A felső állcsont digitalizálása a csontos szájpadnak köszönhetően sokkal egyszerűbb, mint az alsóé.

lak használata, hogy precízen felmérhető legyen a preparációs határ (5. kép). Az optikai beolvasás miatt a kezelőcsapat tudatában kell legyen annak, hogy a nyálkahártya rezilienciája nem lesz figyelembe véve. Ezt a fontos információt a későbbiekben, a mock-up készítése során kell rögzíteni. Általánosságban kijelenthető, hogy a felső állcsont optikai beolvasása problémamentesebb, mint az állkapocsé. A bemutatott esetben különösen az erősen sorvadt gerinc és a szublingvális szájfenék jelentett kihívást, hiszen minél több alsó állcsontot kellett lemintázni. A cara i700-sal a felhasználó lehetőséget kap kiegészítő információként az ideiglenes pótlás bazális felszínének beolvasására, és ennek öszszevetésére a szájképletekkel. Csak ezen az úton lehetséges akceptálható lenyomatot készíteni (6–8. képek).

7. kép: Az alsó állcsont a becsavarozott digitális lenyomatvételi fejekkel.

8. kép: Az ideiglenes bazális részének összehasonlításával a szájfenék könnyebben meghatározható.

A digitális intraorális munkamenet előnye, hogy a kezelőorvos közvetlenül beolvasás után bekapcsolhatja a fogtechnikai labort a munkába, megtárgyalandó a preparációt és a beolvasás minőségét. A továbbiakban az adatállomány (a preparáció és az ideiglenes felszínének kialakítása) átküldhető a laborba. Ebben az esetben az ideiglenes (9–10. képek) beszkennelésén kívül analóg harapásregisztrátum is készült a beartikuláláshoz.

A primer részek gyártása

Néhány frézközpont egy munkamenetben hirdeti a primer és szekunder részek készítését, ami első hallásra nagyon tetszetős. Mi azonban ezt igen problematikusnak tartjuk, mivel a primerek – tapasztalataink szerint – csak analóg utómunkálatokkal vékonyíthatók optimális falvastagságúra. Szerintünk ez a maximális esztétika és funkció szempontjából is elengedhetetlen. A beolvasott ideigleneseknek hála az állcsontok tisztán egymáshoz voltak rendelhetők, a helykínálat egyértelmű volt. A primer részeket a helyviszonyoknak megfelelően lehetett kialakítani a CAD szoftverben. A behelyezési irány megállapítására a konstruktőr a teljes pótlás végleges képével is tisztában kell legyen. Csak aki már készített teleszkópos munkát, ismeri a kis buktatókat, amelyek negatív eredményei – a koronamorfológia nem kellő ismere -

9. kép: Az ideiglenes fogsorok sok segítséget jelentettek az állcsontok egymáshoz viszonyított helyzetének lemásolásában.
10. kép: Az ideiglenes fogsorok sok segítséget jelentettek az állcsontok egymáshoz viszonyított helyzetének lemásolásában.

tében – csak a munka végén domborodnak ki. Durva alapelvként 5 mm-es súrlódási felszín magasság kialakítására törekszem. Természetesen ez függ a primerek számától is. Mivel itt négy primer koronával számoltunk állcsontonként, be kellett tartanunk ezt az értéket (11–13. képek).

A tervezett teleszkópkoronákat additív lézerszinterezéssel készíttettük el. Az implantátumra kerülő primereket szubsztraktív módon, Camlog félnyers előfrézelt tömbökből martuk ki, nem-nemesfém ötvözetből (14. kép).

A digitális és analóg transzformációja

Mivel számomra a digitális készítésű primerek analóg átdolgozása elengedhetetlen a magas esztétika érdekében, két különböző variációt említek meg. Egyik lehetőség 3D nyomtatású egyéni kanál készítése digitálisan a primereket összefogó gyűjtőlenyomat vételéhez, majd ezt a rendelőbe küldeni (15. kép). Ezzel precízen meghatározható a nyálkahártya rezilienciája, és a továbbiakban a megszokott mestermintán dolgozhatunk

12. kép: A kívánt súrlódási felszín betartása jól ellenőrizhető a tervezőszoftverben.

11. kép: A primer részeket optimalizálni lehetett az ideiglenes fogsorok segítségével.
Scan body
Titán felépítmény
Csavarozható megoldás

14. kép: Az implantátumra készülő primerek szubsztraktívan előformált félkész tömbökből formálódtak.

tovább. Olyan eljárás, ami az utóbbi évtizedekben jól bevált.

A bemutatott esetben azonban digitális munkamenet volt a célunk, így a meglévő adatállományból kellett mintát generálni a primer teleszkópok analóg átdolgozásához.

A mintakészítés

Digitális adatállományból mintát készíteni gazdaságossági megfontolásból additív módon érdemes. Különböző technológiai megvalósítások léteznek (16. kép). Kötő (SLM, SLA, DLP) és kiválasztó (Multijet, Inkjet) eljárások közül választhatunk. Ebben az esetben formastabil precíziós mintára volt szükségünk, amely nem érzékeny hőmérsékleti változásokra és UV fényre. Mintakészítési tapasztalataink alapján ilyen minta kiválasztó eljárással készíthető. Ennél a technológiánál az egyes rétegek közvetlenül gyártás során polimerizálódnak, így nem szükséges a későbbiekben az elhúzódásra olyan hajlamossá tevő utókeményítés.

A mintákat üregesre, kivehető csonkokkal készítettük, Stratasys F250-ből (Firma Stratasys). Az üreges minták egyenletes falvastagsága véleményem szerint to -

13. kép: A felső konstrukció additív megvalósításhoz.
15. kép: A klasszikus út a gyűjtőlenyomat, majd ebből mesterminta készítése volna.

Nem szükséges sűrített levegő a használatához, ennek köszönhetően maximális szabadságot élvezhet a gép telepítésénél, ezen felül az üzemeltetési költségek is csökkennek.

Az E5 nyílt rendszerű architektúrája megkönnyíti a belépést a digitális fogpótlások gyártásának folyamatába és tökéletesen beleillik a gyártási láncba. A mellékelt Dental CAM szoftverrel azonnal lehet kezdeni a munkát.

Három egyszerű lépés: kicsomagolás, bekapcsolás, frézelés

A csupán 43 kg-ra optimalizált súlyú gép kompromisszumok nélküli, kiváló minőségű ipari alkatrészekből épül fel.

Az E5 különleges újítása, hogy nincs szükség külső sűrített levegő csatlakozásra, sem beépített kompresszorra. Ezt a szabadalom alatt álló AIRTOOL rendszer teszi lehetővé.

A nagyfrekvenciás orsó nagy fordulatszámának köszönhetően az AIRTOOL turbinalapátjai erős légáramlatot produkálnak, ami elfújja a port és a forgácsot, amit az elszívó elszív.

Az E5 nem csak köralakú tömbök befogadását teszi lehetővé. Megfelelő tartóval 6 különböző méretű blokkot is el lehet helyezni.

Automatikus szerszámcserélés 16 standardszerszámhoz és 1 AIRTOOL-hoz.

Kompakt kialakítása ellenére az E5 bőségesen elegendő munkaterületet biztosít, ahol kényelmesen lehet a munkadarabokat rögzíteni és a szerszámokat elhelyezni.

KIVÁLÓ VÁLASZTÁS KEZDŐKNEK ÉS

PROFIKNAK EGYARÁNT.

KAMERA: 2 X 1,6 MP

PONTOSSÁG: 8 M

SZKENNELÉSI SEBESSÉG (TELJES ÍV): 10 SEC μ

TEKINTSE MEG ÉS PRÓBÁLJA KI ÜZLETÜNKBEN!

additív

kiválasztó eljárás kötőeljárás

16. kép: A szubsztraktív gyártás elmélet szerint kiválasztó vagy

17. kép: Az inkjet eljárással készült precíziós minta a behelyezett technikai analógokkal.

19. kép: Az IOS adatállománya összevetve a minta beolvasásával lehetővé teszi a különbségek észrevételét.

20. kép: A scanbody-k (digitális lenyomatvételi fej – a ford.) divergenciája mutatja a technikai implantátumok nem korrekt beillesztését.

18. kép: Az üreges minták készítése során egyenletes anyagvolumen garantált.

vábbi formastabilitást biztosít (17–18. képek). A továbbiakban Moldaplaster-rel (Kulzer) talpban stabilizáltuk mintáinkat, majd a MeshLab-ban készített ellenőrző szkenneléssel validáltuk azokat (19–20. képek). Így kizárhatók a további fázisokat észrevétlenül befolyásoló hibaforrások. Ebben az esetben is megmutatkozott, hogy a technikai implantátumok pozicionálása során felléphetnek pontatlanságok. Általában ennek oka egy finom sorja, amit még nem távolítottunk el szikével a mintáról, de a kontroll beolvasás után ezt ki lehet javítani. A pontos, elhúzódásmentes minta a további siker alapja!

21. kép: A durván átdolgozott primerek a regisztrátum segítségével kerülnek az artikulátorba, megalapozva a precíz harapásregisztráló lemez elkészítését.

kötő eljáráson alapul.

22. kép: A sínmodullal tervezzük a sablonokat.

A precíziós regisztrátum

Az első alkalommal szilikonból készült regisztrátumnak köszönhetően a nyomtatott mintákat durván egymáshoz lehetett illeszteni az artikulátorban. A teleszkópok súrlódási felszíneit kissé átdolgoztuk, ezekre készült a precíziós regisztrációs lemez. A koronaszéleket elvékonyítottuk, a széli záródást is lehetett ellenőrizni a haraptatás során (21. kép). A regisztrátumokat a síntervezővel terveztük. Célunk stabilan illeszkedő lemezek készítése volt, amelyek a primer részeken ülnek. DLP-nyomtatással (cara print 4.0, Kulzer)

23. kép: A cara print 4.0-val készültek a lemezek.

készítettük őket. E technológia nagy sebességének hála gyorsan elkészülnek a lemezek, majd utókeményítést követően kidolgozhatók és gracilissá tehetők. A tökéletes véghelyzet elérésének ellenőrzésére érdemes pontszerűen kilyukasztani a lemezt a primer felett. Így kizárható az esetleges nem megfelelő illeszkedés haraptatás során (22–23. képek).

A második részben az összegyűjtött páciensinformációk felhasználása, valamint a teleszkópos hidak elkészítése lesz soron a jól bevált értékek megtartásával.

Forrás: Das Dental Labor 2023/9

A különböző műanyagok, mint pl. az üvegszál-erősítésű Trinia, tástechnológiák kombinációja jelentősen kiszélesíti az egyes szimbiózisa hatással van nem csak a restaurációk funkciójára

Trinia, az üvegtöltésű CrownTec, valamint a marás- és nyomtaegyes anyagtípusok indikációs területét. Az anyag és technológia funkciójára és esztétikájára, hanem megrövidíti a munkafolyamatot is.

TÖBB LEHETŐSÉG, NAGYOBB HATÉKONYSÁG

Hogyan forradalmasítják a digitális technikák és a műanyagok a munkafolyamatokat?

A digitális technológia hatékonyabb munkafolyamatokat engedélyez a fogorvosi rendelőben is.

A kezelési idők rövidülnek, néhány időpont feleslegessé válik. A szerzők ezt tárgyalják esetbemutatáson keresztül.

1. kép: A fém és az üvegszál-erősítésű Trinia tömegének összehasonlítása.

A digitális gyártás bevezetése óta a technológia és az anyagfejlesztés kölcsönös hatást gyakorol. Eleinte a kerámiajellegű anyagok (földpát-, lítium-diszilikát- és cirkónium-dioxid kerámiatípusok) álltak a fejlesztés középpontjában, az utóbbi években viszont a gyógyászati terméktörvény IIa kategóriájába tartozó (végleges fogpótláshoz engedélyezett) nagy teljesítményű műanyagok hívják fel magukra a figyelmet. A

magas hajlítási szilárdság és a kerámiákkal vagy fémötvözetekkel összehasonlítva csekély tömeg (1. kép) predesztinálja használatukat az implantátum- vagy stégmegtámasztású és elhorgonyzású kivehető teljes és részleges protetika területére. A különböző műanyagok eltérő tulajdonságainak ismeretében összehozott kombinációja ma már lehetővé teszi hosszú ideig hordható, komfortos, esztétikus, és nem utolsósorban könnyen korrigálható vagy javítható fogpótlások készítését.

Eljárás

Fogorvos:

2. kép: A beszkennelt scanbody-k mutatják a Bicon implantátumok helyzetét.

A páciens évekkel ezelőtt két mukozális megtámasztású kivehető fogsort kapott. Az atrófia következtében ezek már nem rögzülnek megfelelően. Implantátumokat terveztünk pillérként. A csekély csontkínálat és az egyszerűbb kezelhetőség okán négy rövid implantátumot (Bicon, Bosten) helyeztünk be. Végleges pótlásként teleszkóp elhorgonyzású redukált alaplemezű kivehető fedőfogsort terveztünk. A fogorvos intraorális szkennerrel beolvasta az alsó és felső állcsontot. Ehhez becsavarta az implantátumokba a megfelelő scanbody-kat (digitális lenyomatvételi fej - a ford.) (rövid UA-Scan-post, Bicon, 2. kép). Mivel a régi fogsorral komfortosnak érezte a harapást a páciens, ez segített a harapásregisztrációban. A helyzet rögzítésére vesztibulárisan beszkennelte az orvos a behelyezett fogsorokat. Végül a két fogsort szájon kívül is, egészében beolvasták a Medit IO-szkennerrel (Szöul). Utoljára portréfotó

készült. Minden így nyert adatot interneten a laboratóriumba küldtek. A végleges elkészítéséig a páciens hordja tovább régi fogsorait. Nem volt szükség további találkozásokra sem ideiglenes fogsor készítéséhez, sem a harapásregisztrációhoz és laborban készített sablonok próbájához sem.

Fogtechnikai labor:

A laboratóriumban az összes adatot összefűztük egy „digitális pácienssé” a darmstadti exocad DentaCad rendszerében. Az állcsontokat a vesztibuláris fogsorbeolvasással illesztettük térben egymáshoz (3. kép). Az implantátumok helyzetét a fejek mutatták meg. A külön beszkennelt fogsorokat pedig mock-up-ként tudtuk használni a tervezés során (4. kép). A páciens portréját rávetítettük a frontra, így segítve az esztétikai ellenőrzést (5. kép)

Konstrukció:

Az állcsontok 3D adataiból digitális munkamintákat készítettünk, majd kinyomtattuk ezeket DLP-3D nyomtatóval (6. kép). A digitális mintakészítés technikai analóg implan-

3. kép: A vesztibuláris szkennelés adja a 3D relációt.

5. kép: A fogorvos által küldött 3D szkennelésű adatokból áll össze a „virtuális páciens”

6. kép: A 3D nyomtatású munkaminta.

4. kép: Az állcsontokhoz rendelt fogsorok.

7. kép: A felépítmények 2°-os behelyezéssel.

tátumai (Bicon, Boston) résmentesen kell illeszkedjenek a minta hornyaiba, kontra anyával rögzítve.

A tervezés a felépítmények kialakításával kezdődött (7. kép). Ezeket CNC-marással valósítottuk meg. Az előzetesen félkész felépítménytömböket szinte egyetlen lépésként még „analóg” munkáltuk meg. Ehhez becsavaroztuk azokat a munkamintára, majd a frézgépben 2 fokosra kúposra frézeltük a falakat (8. kép). Ezt a helyzetet asztali szkennerrel beolvastuk, majd az új 3D adatokat virtuálisan ráfűztük a digitális páciensre. A felépítményekre sapkák készültek. A sapkákra terveztük 0,07 mm-es helyfenntartással a stégeket (9. kép)

A stégek minimális falvastagsága 1 mm, keresztmetszete minimum 7 mm2. A helykínálatot a régi fogsorok rávetítésével tudtuk ellenőrizni (10. kép). Végül a sapkákat nem nemesfémötvözetből martuk ki. A stégek marása a bostoni Bicon cég Trinia nagy teljesítményű műanyagából történt meg (11. kép). Ez a műanyag térhálósan üvegszál-erősítésű. Ezáltal kiemelkedően magas a hajlítószilárdsága, ebből fakad a későbbi fogsor törőszilárdsága. A Trinia további előnye jó kötésképző képessége más műanyagokkal. A szükséges kötési szilárdság eléréséhez nincs szükség adhezívre vagy opákerre, mint a fémvázaknál. Mivel a Trinia-blokkok fog- és ínyszínben is hozzáférhetők, esztétikai okokból végzett opákerezésre sincs szükség (12. kép). A stégre tervezzük a fogsort (13. kép). A stég és a fogsor között 0,07 mm-es hézagot hagyunk. A konstrukció

8. kép: A nyomtatott minták a felhelyezett felépítményekkel.

9. kép: A stégek tervezete.

további részét az esztétikai és funkcionális szempontok határozzák meg (14. kép). Az így készült fogsort 3D nyomtatással Try-in (szájba próbáló – a ford.) anyagból (Ceramtec, Bécs) nyomtatjuk ki. Eljárásunk központi darabja a Try-in fogsor (15. kép). Ezzel ellenőrizzük a funkciót és esztétikát. Kisebb adaptációkat, vagy változtatásokat a kívánalmak szerint a fogorvos is elvégezhet, bejelölhet. Nagyobb változtatás esetén új próbafogsort nyomtatunk, és újra próbáljuk szájban. Csak ha hibátlan az eredmény, folytatjuk a munkát a további lépésekkel.

Fogorvos:

A behelyezőkulcs segítségével rakják be a felépítményeket az implantátumokba. Ezután a fémsapkák kerülnek a helyükre. A Trinia stéget rájuk illesztve csúsztató-ragasztóval összeragasztjuk direktben azokkal (16. kép). Végül a fogsor esztétikai

10. kép: A konstrukció helykínálatának ellenőrzése a régi fogsorok segítségével.
11. kép: A pontosan kimart Trinia munkadarabok.
13. kép: A fogsorok terve.
14. kép: Ellenőrzés a smile-design programban.
12. kép: A Trinia fog- és ínyszínekben is kapható.

és funkcionális ellenőrzése történik meg (17. kép). Ebben az esetben csak csekély kiigazításokra volt szükség. Elhagyható volt egy újabb Try-in próba.

Fogtechnikai labor:

A laboratórium elvégzi a szükséges módosításokat a CAD tervben (18. kép). Végezetül a teljes pótlást kinyomtatjuk a Seremco, rebstein CrownTec anyagából (19. kép). Ez egy kerámiatöltésű műanyag, engedélyezett végleges pótlások készítéséhez. A nyomtatást követően a fogsort passzítjuk a stégre (20. kép). A Trinia stég fogsorba ragasztásához lefújjuk a felületeket 50 mikronos aluoxiddal 2 baron. További kondicionálásra nincs szükség. A ragasztás során a fogsor belső felületére teszünk CrownTec anyagot, majd a mintára rakott stégre illesztjük. A polimerizációs szekrényben lezajlott fényre keményedést követően optimális kötés jön létre (21. kép). Mivel a fogsor alaplemeze fogszínű, a műínyrészeket Gradia Plus-Gum (GC) anyagokkal színezzük rózsaszínűre (22. kép). A fogak esztétikáját javítandó azokat szintén egyéniesítjük az Optiglace festékekkel (GC) (23. kép).

Fogorvos:

A laboratórium komplett restaurációkészletet küld a rendelőbe. Ennek részei: • négy felépítmény a hozzájuk tartozó behelyezőkulccsal

• a fogsor, összeragasztva a Trinia stéggel és a fémsapkákkal

15. kép: A kezelés esszenciális része a Try-in próbafogsor.
16. kép: A Trinia stég feszülésmentes illeszkedése a fémsapkákon a szájban.
17. kép: A fogpróba alapos ellenőrzése a rendelőben.

Hat évtizedet ünnepelünk egy erős termékkel, amely forradalmasította a piacot! Az Orthocryl® fogszabályozók milliói készültek világszerte. Élénk színeinkkel és az Ön kreativitásával minden fogszabályzó egyedi műalkotássá válik. De a legfontosabbak a gyermekek mosolyai, amelyek nap mint nap elkísérnek minket, és megmutatják, hogy munkánk nemcsak a fogakhoz, hanem a szívekhez is eljut.

60 éves az Orthocryl®, tegyük továbbra is ragyogóvá az arcokat!

Ha kellő gondossággal végeztük a próbát a Try-in munkadarabbal, a végső ülésben sem ér meglepetés bennünket (24. kép) A páciens már harmadik ülésben megkapja a végleges pótlást – mindezt a labor és a fogorvos számára biztos, áttekinthető munkafolyamat eredményeképpen.

Összefoglalás

A különböző műanyagok, mint pl. az üvegszál-erősítésű Trinia, az üvegtöltésű CrownTec, valamint a marás- és nyomtatástechnológiák kombinációja jelentősen kiszélesíti az egyes anyagtípusok indikációs területét. Az anyag és

technológia szimbiózisa hatással van nem csak a restaurációk funkciójára és esztétikájára, hanem megrövidíti a munkafolyamatot is. A jövőben az ilyen lehetőségek felismerése is a fogtechnikai tudás részévé fog válni. Az így keletkező kombinációs módozatok annak lehetőségét hordozzák magukban, hogy előre jósolhatóan rövidebb kezelési idő alatt tudjuk elkészíteni a fogpótlásokat.

Forrás: Das Dental Labor 2023/10

18. kép: A kívánt korrekciók elvégzése a terven.
20. kép: A Trinia stégekre illesztett fogsorok.
22. kép: A gingivarészek kiegészítése.
23. kép: Az egyszínű fogakat egyszerűen tehetjük értékesebbé.
21. kép: A nagyon jó kötés okán a Trinia közvetlenül ragasztható a fogsor alaplemezbe
24. kép: Ha tudatos volt a Try-in próba, a készrevitel után sem ér meglepetés.
19. kép: A nyomtatott felső fedőfogsor.

Nagy látómező

Touchpad egyszerű navigáció 10 bites technológia

i900

ALL IN ONE ALL IN ONE intraorális szkenner a könnyed szkennelési élményért

360 fokos érintőgyűrű ki- és bekapcsolás bármilyen szögből

Résmentes készülékház kiemelkedő higiénia

Mindössze 165g (fejjel együtt)

Kis létszámú MEDIT hands-on kurzusok soproni bemutatótermünkben. Információ: +36 20 9510368

9400 Sopron, Faller Jenő u. 5 | Tel.: 99/508-698 | Fax: 99/508-696 iroda@dentalplus.hu | www.dentalplus.hu

BCW Irodaház . 1113 Budapest, Nagyszőlős u. 11-15. / I. emelet (Budapesti bemutatótermünkben előzetes egyeztetés alapján tudjuk fogadni Önöket!)

Flentje (Németország)

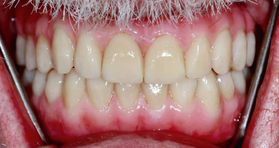
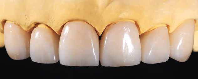
KIRÁLYKATEGÓRIA –FRONTFOG-MEGOLDÁS

Implantátum-protetikai ellátás digitális tervezéssel

Egyetlen frontfog pótlása most is – akárcsak korábban – a királykategóriába tartozik. Bármely kis formai vagy színhiba kíméletlenül megmutatkozik minden mosolynál. Ezzel hihetetlen szintet nő, vagy csökken a páciens életminősége. Stefanie Flentje esetbemutatása ismerteti, hogyan valósíthatunk meg sikerrel implantátum elhorgonyzású borítókoronát a frontterületen.

1. kép: A behelyezett implantátum röntgenképe közvetlenül a műtét után… – 2. kép: … és négy hónap gyógyulás után az ideiglenessel

3–4. képek: A lenyomatvételi fejet felhelyezve hagyományos, zárt kanalas lenyomatvétel történt.

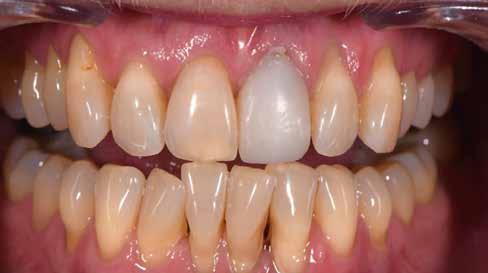
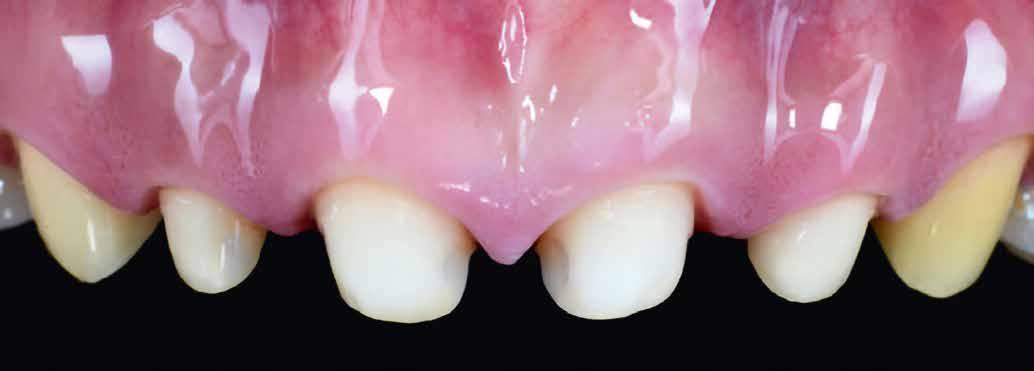
A 64 éves hölgypáciens esztétikus pótlást kívánt 21-es foga helyén, amelyet balesetet követően 2022-ben távolítottak el. Az összes foga egészséges és vitális volt, így a 21-es régióba implantátum került, amelyre cirkónium-dioxid koronát terveztünk. Az implantátum típusát, pozícióját, átmérőjét egyedi anatómiai adottságainak és az adott helyviszonyoknak megfelelően választottuk meg.

Előkezelés

2023 elején került behelyezésre a 21-es régióba egy Camlog Tissue Level implantátum, 4,3 mm átmérővel és 13 mm hosszal. Az eseménymentes gyógyulást követően az implantátum csontosodását a Periotest-eljárással ellenőriztük, majd hagyományos zárt kanalas lenyomatvétel után ideiglenes ellátás készült (2–4. képek).

Kritikus prognózis implantálás során

Az implantálás veszélyekkel jár, amelyeket a beavatkozást megelőzően a kezelőorvos egyeztet a pácienssel. A sikeresség szempontjából döntő tényező az állcsont sűrűsége és volumene. Ez esetben a várható csontmennyiség az implantátum körül 1-2 mm között mutatkozott, ami jó előfeltételt teremthetett az ideális gyógyuláshoz. A csontmennyiséget és sűrűséget a kezelőorvos a legmodernebb digitális készülékekkel mérte meg az előzetes vizsgálatok során. Ha orvosilag nem is kell ma már idegenkedni az implantálástól, a gyógyulás során azért rejtett tényezők is felléphetnek. Az implantátum körüli szövetek gyulladásának elkerüléséhez például elsődleges a megfelelő szájhigiénia. Gyógyszeres kezelések, különböző megbetegedések – pl. cukorbetegség, oszteoporózis (csontritkulás – a ford.), valamint szokások, mint a dohányzás és a drogfogyasztás – is hátrányosan befolyásolhatják a szájhigiéniát, illetve hosszú távon akár az implantátum elvesztéséhez is vezethetnek. A

5. kép: Újra felkerült az ideiglenes, a páciens mehetett haza.

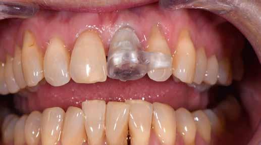
építményhez gyári Camlog titánbázist használtunk, amit előzetesen befedtünk DCMhotbond fusio connect spray-vel. A titánbázis felületi kondicionálásához alkalmazott anyag kiváló, résmentes és tartós kötési alapot teremt a bázis és a rá készülő cirkon konstrukció között1. A cirkónium-dioxid egyedi felépítmény tervezését primer teleszkóp koronaként választottuk ki a CAD-szoftveres lehetőségek tárából. A felső mintát a beszórt titánbázissal ínymaszkkal és anélkül is beszkenneltük, akárcsak az antagonista mintát. A titánbázist hárompontos vonatkoztatással illesztettük a digitális mintába, majd megállapítottuk a behelyezési irányt és az illesztő paramétereket (7–13. képek).

6. kép: A mintát beolvastuk, a munkát megterveztük.

csikorgatás, vagy a hibás anyagválasztás a kerámia töréséhez vezethetnek, így akár újra is kellhet készíteni a pótlást.

Tervezés és kivitelezés a laboratóriumban

Az implantátumról készült lenyomat, valamint az alginát antagonista fertőtlenítése után szuperkemény gipszből az előírások szerint elkészültek a minták. A felső mintát a technikai implantátum körül levehető ínymaszkkal készítettük. SAM-arcív segítségével habituális okklúzióba helyeztük a mintákat. A felső mintát előkészítettük a digitális tervezéshez, enyhén megformáltuk az emergenciaprofilt, hogy tökéletes legyen a rózsa-fehér esztétika. A fogszínt – a pácienssel történt egyeztetést követően – dokumentáltuk.

Digitális tervezés

A mintát beolvastuk (D1000, 3Shape), majd megterveztük a munkát (3Shape Dental System) (6. kép). A fel -

Primer teleszkópnál az alábbi adatokkal dolgozunk:

Az 11-es fogat tükrözzük, majd megfelelő pozícióba helyezve kialakítjuk helyes méretét. Most elkészíthetjük alá az egyedi felépítményt. Ehhez a vállat illesztjük a gingiva lefutásához, az alá kb. 0,5 mm-rel elhelyezve (14. kép). A gingiva-rész adatállománya tetszés szerint jeleníthető meg, láthatóan, vagy akár transzparensen is (15. kép). A szabadkézi eszközzel egyedileg alakíthatók ki az egyéni fej dimenziói (16. kép). Ehhez újra és újra rávetítjük a tükrözött fogat a kész konstrukcióra. Palatinálisan csak a szinterezést követően redukálom a felépítményt (17. kép). A kész konstrukcióra újra rávetítjük a tükrözött fogat és az ínymaszkot, a terv ellenőrzésére (18–19. képek). A kész tervet most rávetítjük egy nyers cirkontömbre, elhelyezzük a megfelelő

14. kép: A felépítmény válla illeszkedik az íny lefutásához.
15. kép: A gingiva bármikor rávetíthető a tervre.

16. kép: A szabadkézi mintázó eszközzel formáljuk meg a felépítmény helyes dimenzióit.

17. kép: Palatinálisan csak szinterezés után redukálom a felépítményt. 18

18–19. képek: A kész konstrukció ellenőrzéséhez újra rávetítjük a gingivát és a tükrözött fogat.

összekötőket, és az adatokat korrekten illesztjük a tömbhöz. Végül az adatállományt a marógépbe (imes-icore) küldjük, és kimarjuk a konstrukciót a nyers cirkontömbből (DD Bio ZW iso, Dental Direkt). Ez az általam választott alapanyag meggyőzött magas szilárdságával és hosszú élettartamával. Ráadásul felépítmény, korona- és hídváz készítésére is alkalmazható.

A felépítmény megmunkálása

A felépítmény marását és szinterezését követően felpasszítom a titánbázisra, majd összeforrasztom a kettőt a gyártó előírásai szerint a DCMhotbond fusio 12-vel

800 C°-on 1. A DCMhotbond fusio 12 üvegszerű szilikátalapú kerámiaforrasztó. A titánbázis és a cirkonfelépítmény résmentes kötésére használjuk. A Connector spray ajánlása szerint a forrasztási hézag 0,15-0,3 mm közötti 2. A forrasztást követően a fölösleget lefújjuk kb. 1,5 bar nyomáson, az emergenciaprofilt pedig magas fényre polírozzuk. Most parallelométerben (inkább frézgépben – a ford.) 2°os gyémánttal csiszolom durvától a finom állapotig a fejet. Ügyelek rá, hogy a váll kb. 0,5-1 mm-rel az ínyszél alá kerüljön, így nem lesz látható az átmenet a végleges koronánál. A felépítményt pirossal beszínezem, ami kizárólag a vizuális azonosítást segíti, így minden felületet szükség szerint munkálhatok meg. Végül lecsapom az incizális élt (20–24. képek).

20–21. képek: A kimart felépítmény a mintán.

22–23. képek: A felépítményt pirosra színezem a vizuális kontroll érdekében, így minden szükséges korrekció elvégzése látható.

24. kép: A kész felépítmény a mintán.

25–26. képek: Most beolvastam a felépítményt, meghatároztam a preparációs határt és a behelyezési irányt, majd újra tükröztem és illesztettem az 11-es fogat.

A cirkon-oxid korona tervezése a felépítményre

Újra beolvassuk a felépítményt, normális csonkként kezelve. A sapkát anatómikus koronaként határozzuk meg, redukálva a leplezéshez. Palatinálisan „hátlemezzel” alakítjuk ki, az erőhatások jobb elviselésére. Az antagonistát is beszkennelem, meghatározom a preparációs határt és a behelyezési irányt, újra tükrözöm az 11-es fogat, és ideális pozícióba helyezem (25. kép). A helyviszonyok ellenőrzése érdekében a tükrö-

zött fog transzparensen rávetíthető a tervre (26–27. képek)

A sapkát vesztibulárisan 0,8 mm-rel redukálom, így elegendő helyem lesz a leplezéshez (28–29. képek). Palatinálisan – ahogy említettem – stabilitási okokból teli cirkonnal dolgozom. A sapkát illesztem a megfelelő nyerstömbbe, kimarom, majd éjjel szinterezem. A következő nap felpasszítom a vázat. Ezzel együtt még egy behelyező segédelemet is terveztem a felépítményhez, műanyagból (PMMA) kimartam, kiegészítve egy elfordulásgátlóval a 22-esen. A segédelem biztosítja a felépítmény tökéletes és problémamentes illesztését a szájba. Okkluzálisan végül még nyílást készítek a csavarozáshoz.

27–28. képek: Áttetsző formában is rávetíthetjük a konstrukcióra a tükrözött fogat, így jobban látjuk a dimenziókat.

29. kép: A vázat enyhén redukáltam vesztibulárisan, hogy legyen elég hely a leplezésnek. Palatinálisan a stabilitás érdekében nem terveztem leplezést.

30. kép: Nehéz esetekben legtöbbször két vázat készítek különböző anyagból. A közvetlen összehasonlítás jól mutatja a cirkonok különböző transzlucenciáját. Balra: DD cube One A2; jobbra: DD Bio ZW iso A2.

tes, a paraméterek egymáshoz igazítottak, nincs szükség a fáradságos passzításra (31. kép). Csak a széleket kell még kicsit elvékonyítani. Elsőként az egyedi Liner-égetés következik, amely során már enyhe színkorrekciók is végezhetők. Utána jön az első és második dentinégetés, a végső leplezési fázist megelőzve (Creation ZI-F, Creation Willi Geller) (32–34. képek). Ez egy alacsony égetési hőmérsékletű, földpáttartalmú cirkon-oxid leplezőkerámia. Különösen robusztus, hőtágulása tökéletesen illeszkedik a cirkónium-dioxidéhoz, fénytörése és tükrözése természetes hatású3. A két korona leplezésben, formában és transzparenciában enyhe különbséget mutat (35. kép). Egy frontfog mindig nagy kihívás. A nagymetszők ráadásul az „első sorban táncolnak”, őket látjuk meg először.

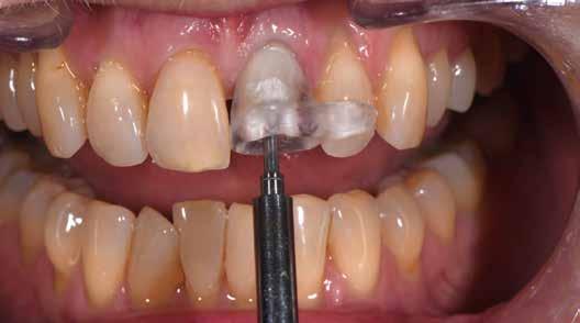
Próba és behelyezés

A felépítmény próbája és behelyezése a szájba a segédelemmel történik. Az emergenciaprofil kezdetben még

31–34. képek: A két váz illeszkedése tökéletes. Csak a széleket kell kissé elvékonyítani. Elsőként az egyedi Liner-égetés következik, amely során már enyhe színkorrekciók is végezhetők. Utána jön az első és második dentinégetés, a végső leplezési fázist megelőzve.

Cirkon-oxid korona és leplezés

Nehéz eseteknél legtöbbször két vázat készítek különböző anyagokból. Itt is készült egy DD cube One A2-es nyerstömbből, a másik pedig DD Bio ZW iso A2 nyerstömbből (30. kép) A közvetlen összehasonlításban jól látható a két anyag fényáteresztése közötti különbség. A két váz illeszkedése tökéle-

enyhén anémiás (vérszegény – a ford.), de gyorsan újra telítődik, tökéletesen illeszkedve a szituációhoz (36–42. képek)

A páciens a DD cube One koronát választotta, ami szín és transzparencia szempontjából is nagyon harmonikusan illeszkedett a teljes képhez (43–44. képek)

6 fejezet 49 szakmai cikk 388 oldal 1980 színes kép

Róth Lajos

35. kép: A direkt összehasonlítás kis különbséget enged felfedezni rétegzés, forma és transzparencia oldaláról. A páciens dönti majd el, melyik korona tetszik neki jobban, s így az kerül behelyezésre.

36–37. képek: A DD Bio ZW iso korona a mintán és in situ.
38–39. képek: A DD cube One korona a mintán és in situ.

MPS

MULTY PLATFORM SYSTEMS

Kiváló minőségű protekiai elemek minden ismert implantációs rendszerhez

PIACVEZETŐ MÁRKAKOMPATIBILIS

GYÁRTÓ

Az összes ismert implantátum rendszerrel kompatibilis.

MADE IN GERMANY Tradicionálisan magas minőség.

GYORSASÁG

Idő- és pénzmegtakarítás a fogtechnikusok és a fogorvosok számára.

PRECIZITÁS

Német mérnökök és fogászati szakemberek dolgoznak együtt, hogy tökéletes protetikai rendszert alkossanak.

40–42. képek: A felépítmény szájba helyezése a segédelemmel.

43–44. képek: A hölgy a kicsit transzlucensebb DD cube One változat mellett tette le voksát –nagyon elégedetten a végeredménnyel.

PRÉMIUM

BEFEKTETÉS 20+ ÉVRE PRÉMIUM GARANCIÁVAL!

Legalacsonyabb üzemeltetési költség (1,97%) Leghosszabb garancia (10 év) Stabil, folyamatos, megbízható működés - digitális vagy más fejlesztések stabil háttere

A-dec/NSK elektromos, nyomaték szabályozott LED-es, ENDO funkciós mikromotor, rpm 100-40000

Ebben az A-dec páratlan!
10 év garancia
Varrott kárpit
Varrás nélküli kárpit
Érintés nélkül is működik

Ha még ezen felül is egyéniesíteni akarunk, az incizális területet technika). A bemutatott munkamenet a klasszikus préstechnika kombinálása

sok előnyt rejt magában, új kihívásokat jelent, innovatív felhasználást technikának csak

IPS e.max Ceram leplezőkerámiával is kiegészíthetjük (cut-back kombinálása a számítógép támogatású tervezéssel és gyártással, felhasználást tesz lehetővé. További kreatív kombinálása e két csak idő kérdése.

Dr. Hyun-Jun Jung, Kyung-Sik Park (Dél-Korea)

RÖVIDÍTÉS

A DIGITÁLIS GYORSVONATON

A frontfog-restauráció formáját alapvetően befolyásolja a gingiva szimmetrikus lefutása. A funkcionálisan és esztétikailag illeszkedő, bevált ideiglenesek digitális technológiával reprodukálhatók, kontúrjuk átvihető a végleges pótlásra. Ezt mutatja be két szerzőnk jelen cikkében.

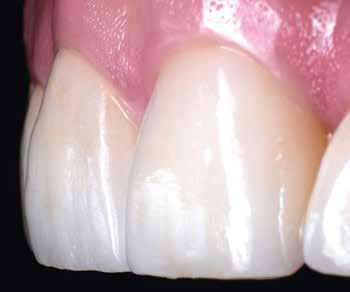
1. kép: Preoperatív szituáció.

Kedvezőtlen fogállás, vagy aszimmetrikus lágyszöveti kép jelentősen megnehezíti a frontfog-rekonstrukció amúgy sem könnyű elkészítését. A forma és szín harmonikus integrációján kívül a lágyszövet formája döntő jelentőségű a természetes hatás szempontjából. Sok esetben szükséges ideiglenest készíteni, amivel a kezelőcsapat megfelelhet a gingiva biológiájának.

Pácienseset

33 éves páciens konzultált a rendelőben 3 évig tartó fogszabályozása elemeinek eltávolításáról szájából. A kárieszek eltüntetésén kívül optimalizálni szerette volna esztétikai kinézetét. Az első esztétikai elemzés a frontfogak kedvezőtlen hossz-szélesség arányát mutatta (1. kép). A bal felső szemfogat a pulpa elhalása következtében endodonciai kezelésnek is alá kellett vetni.

Tervezés

A terv a felső front rekonstrukciója volt. Anyagválasztás oldaláról figyelembe kellett venni, hogy a páciens szokásszerűen, rendszeresen fogyaszt kemény diót, ráadásul éjszaka csikorgatja a fogát (bruxizmus), és gyakran szorítja öszsze állkapcsát. A frontkoronáknak tehát esztétikus kinézet, funkcionalitás mellett kiemelkedő szakítószilárdságúnak és

nagyon erősnek kell lenniük. Hat teljes kerámiakoronával kívántuk megoldani a hossz és szélesség aránya (a fogak meghosszabbításával), és az aszimmetrikus gingivavonal optimalizálását.

Gyártástechnika és anyagválasztás

A kerámiarestauráció törésveszélyének minimalizálása érdekében az IPS e.max Press (Ivoclar) lítium-diszilikát kerámiát választottuk, ismerve 470 MPa-os szilárdságát és magas esztétikáját. A monokróm préstömböt kiegészítve már polikróm alapanyagtömbök is elérhetők monolitrestaurációk készítéséhez, amelyek kiegészítő karakterizálás nélkül is kifejező esztétikai hatást fejtenek ki, természetességet kölcsönözve a dentin-él átmenetnek is.

A teljes anatómiai formájú viaszmintázatok alapján préselt kerámiakoronák készítése gyors és egyszerű. Ráadásul a préstechnológia optimális a filigrán ínylefutás kontrollálásában. A rétegzéssel leplezett restaurációk esetében a zsugorodás miatt néha nehézkes a provizóriummal kialakított kontúrok tökéletes reprodukálása. Préskerámia anyagként véleményünk szerint az IPS e.max Press Multi használata döntő előnyökkel jár. Első a természetes színátmenet, ami mind cervikális, mind incizális részen hűen utánozza az igazi fogakét. A monokróm anyagból préseltekkel ellentétben, amelyeket incizális területen esztétikai szempontok alapján

érdemes leplezőkerámiával egyéniesíteni, gyorsan és egyszerűen állíthatjuk elő a koronákat. Második: az IPS e.max Press Multi azt a transzlucenciát nyújtja, ami a megfelelő fényáteresztéshez szükséges.

Klinikai kezelés

A gyökérkezelést és a kárieszek megszűntetését követően kompozittömések készültek, majd preparálták a restaurálandó frontfogakat (3. kép). Ideiglenes koronák is szájba kerültek (4. kép), a jobb kismetszőt meghosszabbították. A fogínylefutás szimmetriáját az ideiglenes koronák megtámasztása segítette. A fogak és íny kívánt szimmetriáját elérve véglegesítették a preparációt (5. kép) és elkészültek a lenyomatok.

ezekre készített mintát és a preparált csonkokkal készült mintát is. A digitális adatállományokat egymásra vetítettük, szeparáltuk a pillérfogakat, a széleket és kontúrokat illesztettük (6–8. képek). Így tökéletesen átvehettük az ideiglenesek formáját. A szubgingivális kontúrokra fókuszáltunk, amelyek megtámasztják a gingivát, hogy a rendelőben ne kelljen majd egyéniesítő utómunkákat végezni. A megtervezett koronákat viasztömbből martuk ki. Erre a célra a ProArt CAD Wax sárga színű tömbjét használtuk (9–10. képek), amely kifejezetten az IPS e.max Press-hez készül. A sima felszínek precíz eredményt hoznak, nagy pontosságú illeszkedéssel karöltve. Az anyag maradék nélkül ég ki. Eddig a pontig maximálisan redukálni tudtuk a manuális munkaráfordítást.

CAD/CAM eljárás a restauráció elkészítésében

Az ideiglenes koronák eltávolítását megelőzően is készültek szituációs lenyomatok. A laboratóriumban beolvastuk az

Csapozás és préselés

Most következett a préskerámia megvalósítás (IPS e.max Press Multi). A beágyazást segítette egy speciális előregyártott viaszelem (IPS Multi Wax Pattern), amelyre helyeztük

2. kép: A2 színű IPS e.max Press Multi nyerstömb.
3. kép: A gyökérkezelés és tömések utáni helyzet.
4. kép: Ideiglenes kompozitkoronák a funkció és esztétika kiértékelése céljára.

5. kép: A fogak véglegesre preparálva.

6. kép: A végpreparáció beszkennelve.

7. kép: A preparált csonkos és az ideiglenes koronákkal ellátott helyzet egymásra vetítve.

8. kép: A kialakítás során csak csekély változtatások történtek az illeszkedés érdekében.

a viaszmintázatokat. Ügyelni kell rá, hogy az illesztő elem ne túl vastagon, labiális irányban elhelyezve kerüljön a koronára. Így valósul meg a tökéletes színhatás. Az IPS Multi beágyazóhenger hornyában aztán a segédelem segítségével rögzítettük a viaszmintázatokat. Az IPS Sprue Guide iránymutatásával ellenőriztük a csapozás helyes voltát (11. kép).

Lehetséges a korona színátmenetével variálni. Ha például az incizális résznek kifejezettebbnek kell lennie, a viasz segédelemet a beágyazókúp mentén lefelé toljuk el (maximum 2 mm-t). Az előmelegítés, préselés és kibontás a szokott módon történt, a gyártó ajánlása szerint.

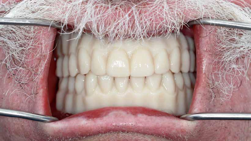
Készrevitel

A préselt munkadarabokat még ki is dolgozhatjuk, egyedi karakterizációt végezve. Ebben az esetben még a festő- és fényégetést megelőzve bepróbáltuk a nyers koronákat a szájba. Ekkorra már a legtöbb klinikai tulajdonság – a fogak tengelyállása, a megfelelő nyomásgyakorlás a lágyszövetre, a papillák helyzete és a gingiva vonala, az ajakvonal és az incizális élek viszonya, a koronák szimmetriája jól felismerhető. A páciens pozitívan ítélte meg a hossz-szélesség arány változtatását. Ezt kellett tökéletesen leutánozni. Az interokkluzális rajzolatot a laboratóriumban vitattuk meg, hogy minél kevesebb korrekcióra legyen szükség a szájban.

A fényégetést megelőzően megfelelő csiszolóeszközökkel alakítottuk ki az IPS e.max Press Multi koronák felszínét, majd IPS Multicolor festékekkel (copper, white és anthracite) egyedi kialakítást festettünk, glazúroztunk. Manuális polírozással kölcsönöztük a koronáknak a végső csillogást (12. kép).

Behelyezés

A fogorvos, fogtechnikus és páciens közötti jó együttműködés kifizetődik, mert a restaurációk a lehető legrövidebb idő alatt, minimális korrekcióval helyezhetők szájba. A klinikai helyzetet, amelyet a mintákon, majd az ideigleneseken keresztül idealizáltunk, a végleges restaurációval is sikerült megvalósítani (13. kép). A páciens és a kezelőcsapat elégedettsége magas szintű volt. A terápia egyenes vonalúnak, sikeresnek bizonyult.

Eredmény

Egy hónap elteltével szép, egészséges képet figyelhettünk meg, ínygyulladás nélkül (14–15. képek). A digi -

9. kép: ProArt CAD Wax viasztömb, sárga színű.

11. kép: Az IPS Multi beágyazó hengeren rögzített korona viaszmintázatok pozíciójának ellenőrzése az IPS Sprue Guide segítségével.

kép: CAD/CAM gyártású teljes anatómiai formájú viaszmintázatok.

tális munkamenet alkalmazása minimális ráfordítással maximális esztétikai eredményt hozott. Az ideiglenes koronák szubgingivális kontúrjának újbóli megvalósítása a végleges pótlással különböző változásokat hozott magával a kezelési folyamat során. Az IPS e.max Press Multi anyag kiemelkedő esztétikai tulajdonságokkal rendelkezik. Ha még ezen felül is egyéniesíteni akarunk, az incizális területet IPS e.max Ceram leplezőkerámiával is kiegészíthetjük (cut-back technika). A bemutatott munkamenet a klasszikus préstechnika kombinálása a számítógép támogatású tervezéssel és gyártással, sok előnyt rejt magában, új kihívásokat jelent, innovatív felhasználást tesz le -

hetővé. További kreatív kombinálása e két technikának csak idő kérdése.

Forrás: Das Dental Labor 2024/4

14–15. képek: Egy hónappal behelyezés után.

12. kép: A kész koronák a mintán.
13. kép: IPS e.max Press Multi koronák közvetlen beragasztáskor.
10.

NEM INVAZÍV ÉS JÓL ALKALMAZKODIK:

FUNKCIONÁLIS PROFILAXIS HIBRID KERÁMIÁVAL

A fogszuvasodás és a parodontózis megelőzése mellett a jövőben minden bizonnyal a noninvazív megelőző kezelés lesz a harmadik pillér, amely a várható hosszabb élettartam ellenére is egészen magas életkorig segíteni fogja a saját fogak megtartását. Amint az első parafunkciók vagy a nem élettani kopások megjelennek, felmerül a kérdés: mi a teendő? A sínterápia segíthet, hogy legalább éjszaka kíméljük a fog keményszövetét, és tehermentesítsük a stomatognath rendszert. A síneket azonban gyakran egyáltalán nem, vagy csak rendszertelenül hordják, ezért a szakemberek már jó ideje végleges, tartós megoldásokat keresnek. Anyagok terén ez igazi kihívás: a funkcionális profilaxis céljából a fog egészséges keményszövetét nem szabad feláldozni, a fogpótlásoknak pedig rugalmasan alkalmazkodniuk kell a biodinamikus környezethez. A következőkben Norbert Wichnalek, Lukas Wichnalek és Arbnor Saraci fogtechnikusok (HIGHFIELD. DESIGN – Zahntechnik Wichnalek, Augsburg, Németország)

1. kép: A 36-os és 46-os fogra készült, nem invazív Tabletop-ok terve sagittális nézetből.

3. kép: A fogsorilleszkedés virtuális ellenőrzése lingvális nézetből.

bemutatják, hogy miért VITA ENAMIC hibrid kerámiát (VITA Zahnfabrik, Bad Säckingen, Németország) választották a funkcionális megelőző kezeléshez.

Választott anyag: hibrid kerámia

A felhasznált anyagnak rendkívül vékonynak és stabilnak kell lennie, hogy egyrészt ne akadályozza a harapást, lehetővé tegye a noninvazivitást, ugyanakkor ellenálljon a rágóerőknek. A retenciós preparálás elkerülésének alapfeltétele a biztonságos, teljes adhezív kötés. A digitális munkamenet teljesen új fogpótlási lehetőségeket biztosító, új anyagváltozatokat hozott létre. Közéjük tartozik a világszerte egyedülálló VITA ENAMIC hibrid kerámia. Más hibrid anyagokkal, ill. nanohibrid kerámiákkal ellentétben ez nem egy klasszikus

2. kép: A kiindulási helyzet és a VITA ENAMIC-ból készült konstrukciók okkluzális nézetben.

4. kép: A polikromatikus VITA ENAMIC multiColor 2M2 HT tömbök csiszolás előtt.

5. kép: A nyerstömbökből kicsiszolt fogpótlások.

7. kép: A fényre keményedő VITA AKZENT LC kompozitfestékekkel minden természetes árnyalat helyreállítható.

kompozit, hanem egy porózus, előszinterezett földpátkerámia-tömb (86 tömegszázalék), amelyet nyomás és hőhatás alatt polimerrel (14 tömegszázalék) infiltrálnak.1

A polimerháló előnyei

Ennek a gyártási eljárásnak az eredményeként egy olyan duális, egymásba fonódó kerámia-polimer háló keletkezik, amely teljesen új kezelési perspektívákat nyit meg.2 A kerámiatömbbe infiltrált polimer lényegében minimalizálja az anyag ridegségét, így CAD/CAM támogatással sokkal vékonyabb méretben állítható elő, mint a teljes kerámia anyagváltozatok.3 A kerámiában lévő mikrorepedések megállnak a polimerrel érintkező határfelületen, így biztosítva a bizton-

6. kép: A kidolgozást VITA ENAMIC Polishing Set technical eszközeivel végeztük.

8. kép: Ebben az esetben a fisszúrákat VITA AKZENT LC khaki és russet színekkel karakterizáltuk, ill. glazúroztuk.

ságos csiszolást és a hosszú távú klinikai sikert, repedések és törések nélkül.4 A polimer emellett a dentinéhez hasonló hajlítási modulust biztosít, amitől az anyag képes lesz elnyelni a rágóerőket, ezáltal pedig elkerülhető a harapásemelés utáni idegentest-érzés.5 Ez a rugalmasság azonban abban is segít, hogy különösen parafunkciók és funkciózavarok esetén kivonja az erőket a rendszerből.

A kerámiaháló előnyei

A domináns kerámiafelszínnek köszönhetően a teljes adhezív behelyezés a jól bevált eljárásnak megfelelően, fluorsavas maratás és szilanizálás után történt.6 A jó tapadási értékek miatt nincs szükség retenciós előkészítésre.7 Homokfúvás és

1 Coldea A, Swain MV, Thiel N. Mechanical properties of polymer-infiltratedceramic-network materials. Dent Mater 2013; 29: 419–426.

2 Dirxen C, Blunck U, Preissner S. Clinical performance of a new biomimetic double network material. Open Dent J 2013; 7: 118–122.

3 Alghauli M, Alqutaibi AY, Wille S, Kern M. Clinical outcomes and influence of material parameters on the behavior and survival rate of thin and ultrathin occlusal veneers: A systematic review. J Prosthodont Res 2023; 67: 45–54

4 Coldea A, Fischer J, Swain MV, Thiel N. Damage tolerance of indirect restorative materials (including PICN) after simulated bur adjustments. Dent Mater 2015; 31: 684–694.

5 Baumgart P, Kirsten H, Haak R, Olms C. Biomechanical properties of polymerinfiltrated ceramic crowns on one-piece zirconia implants after long-term chewing simulation. Int J Implant Dent 2018; 4: 16.

6 Günal-Abduljalil B, Önöral Ö, Ongun S. Micro-shear bond strengths of resin-matrix ceramics subjected to different surface conditioning strategies with or without coupling agent application. J Adv Prosthodont 2021 Jun; 13(3): 180-190.

7 Mainjot AKJ, Charavet C. Orthodontic-assisted one step- no prep technique: A straightforward and minimally-invasive approa-

9. kép: A nem invazív fogpótlások a kidolgozás és a felszín megmunkálása után a kontrollmintán.

11. kép: VITA ENAMIC-kal végzett funkcionális profilaxis a teljes adhezív beillesztés után.

szilanizálás után a direkt kompozitokkal bármikor végezhető kiegészítés vagy akár javítás is a szájban.8 A kerámia anyag, finom szerkezetének köszönhetően, az intraorális csiszolás után könnyen polírozható.9 A zománchoz hasonló abrázióval rendelkező földpátkerámia kopása a hosszú távú klinikai eredmények alapján harmonizál a természetes fogazattal, ami megakadályozza az érintkezési zavarok kialakulását, és önmagában is funkcionális profilaxist testesít meg.10 A domináns kerámiahányad optikai szempontból is természetes esztétikát biztosít.11

10. kép: VITA ENAMIC hibrid kerámiából készült Tabletop és szemfogfelépítmény beillesztés előtt.

12. kép: A centrikus harapásemelés és a hibrid kerámiával végzett front- és szemfogvezetés kialakítása utáni állapot.

Klinikailag igazolt sikertörténet

Döntésünk, hogy VITA ENAMIC-ot nem invazív, illetve minimálisan invazív, funkcionális harapásemelés céljára alkalmazzuk, nem újdonság. Klinikai tanulmányok már többször dokumentáltak ilyen eseteket, és funkcionális terápia keretében, különböző megfigyelési időszakok után mindig pozitív következtetésre jutottak.12 13 14 15 Az ilyen ultravékony hibridkerámia-restaurációk ugyanolyan stabilnak bi-

ch for localized tooth wear treatment using polymer-infiltrated ceramic network CAD-CAM prostheses. J Esthet Restor Dent 2020 Oct; 32(7): 645-661.

8 Al-Turki L, Merdad Y, Abuhaimed TA, Sabbahi D, Almarshadi M, Aldabbagh R. Repair bond strength of dental computer-aided design/computer-aided manufactured ceramics after different surface treatments. J Esthet Restor Dent 2020; 32: 726–733.

9 Jurado CA, Tsujimoto A, Watanabe H, Fischer NG, Hasslen JA, Tomeh H, Baruth AG, Barkmeier WW, Garcia-Godoy F. Evaluation of polishing systems for CAD/CAM polymer-infiltrated ceramic-network restorations. Oper Dent 2021; 46: 219–225.

10 Ludovichetti FS, Trindade FZ, Werner A, Kleverlaan CJ, Fonseca RG. Wear resistance and abrasiveness of CAD-CAM monolithic materials. J Prosthet Dent 2018; 120: 318.e1–318.e8.

11 Steinbrenner H. Multichromatic and highly translucent hybrid ceramic Vita Enamic. Int J Comput Dent 2018; 21: 239–250.

12 Mainjot AKJ. The one step-no prep technique: A straightforward and minimally invasive approach for full-mouth rehabilitation of worn dentition using polymer-infiltrated ceramic network (PICN) CAD-CAM prostheses. J Esthet Restor Dent 2020;32: 141–149.

13 Mainjot AKJ, Charavet C. Orthodontic-assisted one step- no prep technique: A straightforward and minimally-invasive approach for localized tooth wear treatment using polymer-infiltrated ceramic network CAD-CAM prostheses. J Esthet Restor Dent 2020 Oct; 32(7): 645-661.

14 Oudkerk J, Eldafrawy M, Bekaert S, Grenade C, Vanheusden A, Mainjot A. The one-step no-prep approach for full-mouth rehabilitation of worn dentition using PICN CAD-CAM restorations: 2-yr results of a prospective clinical study. J Dent 2020 Jan; 92:103245.

15 Dirxen C(1), Blunck U, Preissner S. Clinical performance of a new biomimetic double network material. Open Dent J 2013 Sep 6; 7: 118-22.

zonyultak, mint a hagyományos fogpótlások.16 Esetünkben egy 35 éves férfi páciens a fogszabályozó kezelést követően parafunkciókkal és életkorához mérten patofiziológiás kopásokkal jelentkezett. Csupán az alsó állkapocs nem invazív kezelésére volt szükség, hogy a csökkent harapást ismét megemeljük, és védő frontfog- és szemfogvezetést hozzunk létre. Előzetes fizioterápiát és oszteopátiát követően a harapási magasságot és a centrális okklúziót panaszmentesen stabilizáltuk egy beállított harapásemelő sín segítségével.

CAD/CAM vezérelt gyártás

Oszteopátiás előkezelés után, a centrális condylus pozíciót a centrikus állkapocs-reláció meghatározásával analóg módon tudtuk regisztrálni. Lenyomatot vettünk a felső és alsó állkapocsról, modellt készítettünk, majd centrális okklúzióban digitalizáltuk a Medit T710 laborszkennerrel (Medit, Szöul, Dél-Korea). Intraorális szkennelést követően mindkét kisőrlőre és a nagyőrlőkre tabletop-ot, ill. a 33-as és 43-as szemfogakra felépítményt szerkesztettünk a Zirkonzahn (Gais, Dél-Tirol, Olaszország) exocad alapú modellező szoftverével. A képzeletbeli preparációs határt úgy választottuk ki, hogy a rágófelszínek bukko-linguális irányban helyezkedjenek el, ami az esetlegesen fellépő parafunkcionális rágóerőket jobban tudja kompenzálni. Ugyanezt tartottuk

szem előtt a két szemfog-felépítménynél is. A fogpótlásokat a Milling Unit Imes-icore 350i PRO (Imes-icore, Eiterfeld, Németország) segítségével, VITA ENAMIC multiColor 2M2 HT anyagból csiszoltuk ki.

Véglegesítés és összegzés

A csapok eltávolítása után VITA ENAMIC Polishing Set technical polírozó eszközeivel a gipszmodellen még tovább vékonyítottuk a már amúgy is nagyon finom széli régiókat, és kidolgoztuk a fogpótlásokat. A fisszúrákat a flórsavval és szilánnal végzett kondicionálás után, VITA AKZENT LC khaki, a mélyebben fekvő területeken pedig russet kompozitfestékkel karakterizáltuk. VITA AKZENT LC GLAZE-zel sikerült egységes fényességi szintet és homogén felszínt kialakítani. A végső kikeményítést 430 nmnél rövidebb hullámhosszú UV-fénnyel, fénykályhában végeztük. A fogpótlások teljes adhezív beillesztése után a páciens azonnal jól érezte magát az újonnan beállított harapásmagassággal, és elégedett volt a hibrid kerámia pótlások kellemes, fogszerű érzetével. A funkcionális profilaxisra mindenféle előkészítés nélkül sor kerülhetett, és az bármikor adaptálható. A további sínterápiáról ezt követően lemondtunk.

16 Ioannidis A, Mühlemann S, Özcan M, Hüsler J, Hämmerle CHF, Benic GI. Ultra-thin occlusal veneers bonded to enamel and made of ceramic or hybrid materials exhibit load-bearing capacities not different from conventional restorations. J Mech Behav Biomed Mater. 2019 Feb; 90:433-440.

...és ami mögötte van biztos megoldás a fogászati szakma elérésére

DIGITÁLIS MESTERKONTROLL

Hogyan ellenőrizhetők a bejövő adatállományok?

Lenyomat és harapási helyzet ellenőrzése, a csonkok preparációs határának kiszabadítása – az analóg világban a mesterek dolga volt. És a digitálisban? Gyakran elmarad a bejövő adatok ellenőrzése. A szkennerszolgáltató platformjáról rögtön a CAD osztályra töltődnek le az adatok. Aztán kezdődik is a munka. Milyen ellenőrzés történik eközben, a vezető technikustól függ. Ez jelentős probléma, mert alig reprodukálható folyamatok zajlódnak le.

1. kép: Az IOS-adatok ellenőrzésére és adaptálására képes MasterCP.

2. kép: Az okklúzió automatikus optimalizálása MI-algoritmus segítségével.

Gyakran nincsenek definiálva az alábbi kérdésekre adandó válaszok módozatai: mikor és hogyan korrigálunk? Milyen mértékű korrekció szorul már a mester/laborvezető együttműködésére? Így nehezen elérhető az egységes minőségi standard szint. Ugyancsak nehezített az osztályok közötti adatátvitel. A mintakészítés csak a restauráció tervezését követően indulhat, mivel egyébként a javítások nem jelennek meg a mintákon.

Eljárás

A digitális folyamatban is ellenőrizni kell az adatokat. Egyrészt megbizonyosodunk arról, valóban „korrekt” adatállományok (intraorális beolvasások) képzik a folyamat első lépcsőjét, másrészt időben történik az esetleg szükséges egyeztetés a fogorvossal. Az osztályokról érkező, harapási helyzetet vagy preparációs határt érintő kérdések így nem merülnek fel. A központi ellenőrzés lehetővé teszi az egységes minőségi standard megvalósítását. A korrektúrák a meghatalmazott munkatársak vagy mesterek felelősségi körébe tartoznak, így egyértelműek és reprodukálhatók. A korrekciót és az adatok szabaddá tételét követően azok a restauráció elkészítéséhez szükséges összes területre továbbíthatók. Mivel egységes adatokról lesz szó, egyszerre kezdődhet a

különböző területeken folyó munka, legyen szó a restauráció CAD-tervezéséről, a mintakészítésről, vagy a regisztrátumok elkészítéséről – és így tovább. A központosított ellenőrzés és a beérkező adatok kijavítása alapfeltétel a digitális munkafolyamat során is a minőségbiztosított megvalósításhoz.

Szoftverhasználat

Az intraorális szkennelésből beérkező adatállományok munka megkezdése előtti ellenőrzésének és átdolgozásának egyik lehetséges eszköze a MasterCP-szoftver (r2 dei ex machina; 1. kép). Átfogó kontrollt tesz lehetővé.

A harapás funkciói:

• az alsó/felső érintkezéseinek automatikus kiértékelése MI-algoritmussal (Master-Intelligenz, 2. kép)

• grafikus helyzetmeghatározás az okkluzális kontaktpontok megjelenítésére

• szabad alsó/felső helyzetoptimalizálás a kontaktkapcsolatok alapján

• alsó/felső manuális állítása, a korreláló kontaktpontokhoz igazodva

• alsó/felső átpozicionálása adott gyógyászati helyzetbe

• alsó/felső elhelyezése az okklúziós és a mediánsík alapján

• alsó/felső harapási helyzet zárása, protrudálása

A preparációs határ funkciói:

• egyes csonkok külön megmunkálásának lehetősége (4. kép)

• preparációs határ elhelyezése/adaptálása

• lyukak zárása

• lehetőség a preparációs határ szkennelt adatállománytól független megváltoztatására (kapcsolt automatikus remash-algoritmussal, 5. kép)

• csonk megmunkálása felépítéssel/lecsiszolással/simítással

• a gingiva megmunkálása felépítéssel/levágással/simítással

• a preparációs határ definiálása és automatikus felszabadítása (6. kép)

Egyéb funkciók:

• fogak „kiradírozása”

• az adatállomány digitális gravírozása „minőségellenőrzött” címkével

• a meghatározott preparációs határ, okklúziós sík és mediánsík automatikus továbbítása a Fix-it-Erik (r2 dei ex machina), didex (Dentona), Magic Modell 3D (Baumann Dental), SilaBite (Siladent) és BiteReg (r2 dei ex machina) tervezőszoftverekbe

• kontrollminta automatikus kiadása

• kontrollcsonkok automatikus kiadása

4. kép: A preparációs határ meghatározásához „kiszabadított” csonk.

3. kép: Szabad pozicionálás terápiás helyzetbe

5. kép: A preparáció meghatározott területein végzett szabad illesztés.

6. kép: Automatikusan meghatározott preparációs határ a további munkálatokhoz.

Összefoglalás

Minden munka kezdetén a mester ellenőrzése biztosítja a labor oldaláról a minőségi standard megvalósításának lehetőségét. Mindegy, analóg lenyomat, vagy IOS-adatállomány érkezik-e, a laboratórium munkájának első lépése a rendelkezésre álló információk ellenőrzése kellene hogy legyen. A

javítások, illesztések a laborvezető, vagy a mester hatáskörébe tartoznak. Csak az ő munkáját követően lehetséges az adatok további feldolgozása, a munka megkezdése, a mindenkor illetékes osztályokra továbbítása. Így minták és restaurációk szinkronban készülhetnek. Azonos adatállományra. A minőségi standard központilag meghatározott.

Forrás: Das Dental Labor 2024/5

A VILÁG PIACVEZETO˝ SZÖGKORREKCIÓS CADCAM MEGOLDÁSA MINDEN IMPLANTÁTUM RENDSZERHEZ

KIZÁRÓLAGOS MAGYARORSZÁGI FORGALMAZÓ

Könyvajánlataink

Csak természetesen

Fogászat és esztétika

A fogpótlások elkészítése mindig összetett feladatnak számított. Szakmai szempontok az elsődlegesek: stabilitás, funkció, illeszkedés, biológiai és kémiai megfelelőség. A fogorvos és a fogtechnikus is törekszik munkája során, hogy legjobb tudását, széleskörű ismereteit a lehető leghasználhatóbb, a páciens számára sikert garantáló formában építse be az elkészülő fogműbe. Tervezés, kivitelezés csakis akkor lehet sikeres, ha mindketten jól képzettek és felkészültek a szakmai munkában.

És mit észlel első sorban a páciens, a beteg? Az esztétikai megjelenést. Sőt, ma már gyakran azért megy a páciens a fogorvoshoz, hogy változtassa meg mosolyát. Nem azért, mert fáj a foga, vagy laikus szemmel is látható defektusai lennének. Mindannyian érezhetjük – fogorvos, asszisztens, fogtechnikus és páciens –, hogy nehezen megfogható, szakmai nyelvezettel nem minden esetben definiálható területről van szó. Az „esztétikus” mást jelent mindanynyiunk számára, még akkor is, ha látszólag egyről beszélünk. A páciens esetleg hófehér, szabályos fogakat ért alatta. A kezelőorvos hibátlan, korhoz illő megjelenést. A fogtechnikus természetes, a páciens típusára, korábbi megjelenésére jellemző fogakat készítene. Igazán jó, természetes, esztétikus restaurációt készíteni nem csak szakma – művészet is.

E könyv megismertet minket olyan emberekkel, akik technikai felszerelést, technológiát és kézügyességet ötvözve kifejezésre tudják juttatni művészi érzéküket. Mindannyiunk, a páciens, a kezelő-csapat és a fogtechnikus számára is érzékelhetően. Végül is ez a cél. Forgassák bizalommal, és ügyeljenek a részletekre.

Hasznos időtöltést kíván a szerkesztő: Hajdu Zoltán Technikai információk: méret: A4 • terjedelem: 291 oldal • kötés: keménytáblás • nyomás: színes, ofszet

Vizsga - sokaknak idegeskedést, félelmet, önbizalomhiányt okoz a szó. Nem egyszerű megfelelni mások elvárásainak, különösen, ha megítélésüktől sok függ későbbi életünkben.

Tovább bonyolódik a helyzet, ha gyakorlati vizsgáról van szó. Itt már a kézügyesség is számít, nem csak a megjelenés, a tudás – be kell bizonyítanunk, képesek vagyunk adott folyamatok elvégzésére. Mindezt idegen helyen, új, számunkra barátságtalan eszközökkel, többedmagunkkal, meghatározott időre... Könnyen belátható, miért remeg egy-egy vizsgázó keze.

A fogtechnika, mint hivatás, különlegesen összetett. Sokoldalú, több más szakmát felölelő ismeret együttesére van szükség – elméletben és gyakorlatban egyaránt.

A szerzők képzettségük és tapasztalataik alapján ismerik mind a szakmai, mind az emberi oldal nehézségeit, buktatóit. Könyvük célja a -segítségnyújtás. A cím - ,,Átrágtuk” - jól jellemzi hozzáállásukat: lelkiismeretesen, értelmezve, bemutatva.

Rendszerezett, intenzív előkészületeket biztosítanak. Bemutatják az adott munkafolyamatokat, lépésről lépésre. Szöveggel és képpel is bizonyítják számtalan vizsga rengeteg diákjának ismeretét, megfigyelését.

Megmutatják, előre jelzik, hol várható probléma - s segítenek azt már előre elkerülni. Felsorolják, és a gyakorlatban is demonstrálják, hogyan, mit kell csinálni, mire kell felkészülni -· sőt, a végeredmény objektív bemutatása bizonyosságot ad a felhasználóknak gyakorlás közben.

Kitérnek nem csak a feladatokra - még a szerszámok, anyagok, eszközök összeállításában is segédkezet nyújtanak. A könyv kihagyhatatlan segédeszköz minden leendő és gyakorló fogtechnikus számára - bepillantást nyújt a német szakmai vizsga anyagába, minőségébe is. A briliáns képek és utalások még az esetleg hozzá nem értők számára is egyértelműek. Forgassuk minél többen, minél többet!

Hasznos olvasást és jó szórakozást kíván a szerkesztő: Hajdu Zoltán Technikai információk: méret: B5 • terjedelem: 160 oldal • kötés: keménytáblás • nyomás: színes, ofszet

Hajdu Zoltán

Ha fúrfarag, akkor

Fogászati kidolgozó eszközök és anyagok a legnagyobb választékban, a legkedvezőbb áron. Raktárról azonnal szállítunk. Viszonteladóknak nagy kedvezmények.

minőségben

• Remanium star anyagból

Tel.: 06-20-366-10-80 www.lezerszinter.hu 1077 Budapest, Izabella u. 10. Tel.: 06-1-223-3999, info: 06-30/944-1441 www.dentaldiszkont.hu

• Anger matricák, ideiglenes koronák, fényvezető ék;

• ASA műszerek, egyszer használatos eszközök;

• CMS polimerizációs lámpa

• FKG orthodonciai eszközök;

• DTS színes műanyag lenyomatkanalak

www.ivoclarvivadent.com

• L&M kiskészülékek

• ORO CLEAN fertőtlenítőszerek;

Ivoclar Vivadent AG Bendererstr. 2

• MEDEX önelőhívós röntgenfilm

• PROMEDICA cementek, tömőanyagok, alábélelők, kerámiajavító;

• SHOFU cementek, tömőanyagok, csiszolók

• SURE DENT papírcsúcs és guttapercha

• SS White koronafelvágó, karbid- és gyémántfúrók;

• TIDI védőmaszkok

• WHITEWASH fogkrém, fogkefe, fogfehérítő

• ZHERMACK A- és C-szilikon, alginát lenyomatanyagok. Közvetlenül az importőrtől:

HERBODENT Kft.

✉ 1025 Bp., Szépvölgyi út 52. % 325-7129

%/fax 325-7220, mobil: 30/203-6957, 30/241-5737 e-mail: herbodent@herbodent.hu, www.herbodent.hu

www.ivoclarvivadent.com

www.ivoclarvivadent.com

Ivoclar Vivadent AG Bendererstr. 2 9494 Schaan |

Ivoclar Vivadent

GmbH Magyarországi Fióktelepe 1016 Budapest, Hegyalja út 7–13.

Turn static files into dynamic content formats.

Create a flipbook
Issuu converts static files into: digital portfolios, online yearbooks, online catalogs, digital photo albums and more. Sign up and create your flipbook.