e-Journal - CAD/CAM 2023

Page 1

2023. VI. évfolyam

2. szám

E-JOURNAL CAD/CAM

A FOGÁSZAT INFORMÁCIÓS MAGAZINJA www.dental.hu

Nagy fejlesztéseket tervezünk, ugyanis van egy álmom

Egyszárnyú ragasztott híd készítése

Egyedi fogszínkulcsok a CAD/CAM fogpótlások színének meghatározásához

Teleszkópos fogpótlás komplex revíziója

Hagyomány a digitális fejlődés árnyékában – a CAD/CAM technológia analóg szereplői

Tökéletes tervezés és megvalósítás SLA-3D-nyomtatással

VILÁGÁBAN!

A 10 éves Alpha Implant Kft. a hagyományos munkafolyamatok mellett a digitális workflow minden lépésére megoldást kínál. A digitális technika fejlődése a fogászati piacon is egyre nagyobb teret hódít. Ebben nyújt

segítséget a 6 lépésből álló Alpha Digital Workflow, amely az intraorál scanneléstől a kész fogmű behelyezéséig terjed. Ne zárja magát keretek közé, lépjen az Alpha Implant Kft.-vel a Digitális Szabadság Világába!

ÜDVÖZÖLJÜK
IMPLANTÁTUM IRÁNYÍTOTT SEBÉSZET
A DIGITÁLIS SZABADSÁG
SCANNER CIRKON
PROTETIKAI FELÉPÍTMÉNYEK +36 1 353 9090 | info@alphaimplant.hu | www.alphaimplant.hu
INTRAORAL
TÖMB
3D NYOMTATÓ REGIONÁLIS KÉPVISELŐ:

Tisztelt Olvasó!

2023-ra a fogászati szektor – reményeink szerint – fel tudja dolgozni a Covid-19 okozta nehézségeket, a háború mellett elszabaduló inflációt, és már tervezi az idei év fejlődési lehetőségeit. Mindannyian abban bízunk, hogy időben alkalmazkodni tudunk majd a változásokhoz, és stabilan tudjuk vezetni a vállalkozásinkat!

A tavalyi év sokunk életében hozott különböző nehézségeket, mégis elmondhatjuk, hogy mindenképp jobb volt, mind a 2020-as és a 2021-es esztendő, amikor a létbizonytalanság, a járványtól való félelem uralta a napjainkat. Az idegenforgalom szépen megindult, de a korábbi számok, a vendégéjszakák még nem érik el a 2019-es év adatait.

A nagy rendelők már próbálnak teljes kapacitással üzemelni, a fogtechnikai laborokban is visszatért a folyamatosság, a fogászati kereskedők jelentős része pedig jobb évet zárt 2022-ben, mint korábban.

A fogászati rendelők és fogtechnikai laborok az elmúlt 2-3 évben főleg a fejlesztéseket állították előtérbe, amelyhez számos pályázat és egyéb forrás is kedvező konstrukciókat kínált. 2023-ban – tudomásunk szerint – is lesznek új pályázati források, melyekről a kereskedelmi vállalatok részletesebb információkat tudnak adni. Az új források bevezetése idén már bizonyosan ismét növekedési spirálba helyezi majd ezt a szektort!

Az infláció elérte a fogászati ágazatot is, a vállalkozások az euro változásától, gyengülésétől függően azzal találkoznak, hogy az árak – a mindennapi élet mellett – itt is jelentősen és folyamatos változnak, emelkednek. A fogászati rendelők is kénytelenek az áraikat emelni, egyre több rendelő, ún. „piaci alapú” árképzést vezet be. A folyamat kimenetelét még nem lehet pontosan látni, a munkaerő fluktuációja, az Európai Unió áraihoz képest alacsony magyar fogászati beavatkozások értéke - jelenleg még nem érte el a drágulás csúcspontját. Az elmúlt időszakban számos újság, cikk foglalkozott a fogászati szektorban található extra drágulási folyamattal. Ez egyelőre - a hazai rendelőkben - még nem mutatott jelentős problémát, új hívószavakkal, sok marketing munkával, reklámmal most a magyar lakosságot kell határozottabban a rendelőkbe invitálni!

Tavasszal újra megrendezzük a néhány évig elhalasztott Upgrade Congress-t, melyet a Hungexpo

új Konferencia Központjában tartunk. A 2 napos rendezvényen elsősorban magyar előadók állnak ki a pódiumra, összesen 36 előadást tartunk, 4 témakörben, melyek az Esztétika&Endodontia, Implantológia, Prevenció és Digitális&Ortho. A rendezvény mellett szakkiállítást is szervezünk, díjmentes kávézóval és számos egyéb programmal.

Idén már 23. éve nagy energiával szervezzük, és sok munkával készülünk az őszi Dental World Nemzetközi Kongresszus és Szakkiállítás sikeres lebonyolítására, melyen reméljük, hogy az egész fogászati szakma képviselteti majd magát! Nemzetközi szinten is ismert/elismert előadók, gyakorlat-orientált képzések, továbbá sok új élmény is várja majd a látogatókat, az érdeklődőket!

A kiadó bizakodva tekint a jövőbe, a megújult tartalmaink kapcsán sok pozitív visszajelzést kapunk, melyeket nagyon köszönünk! Az elmúlt években - a nehézségek ellenére is - növelni tudtuk a kiadványaink, a magazinjaink számát, nem csökkentve azok tartalmi minőségét. 2020 óta a tematikus e-Journalok is folyamatosan megjelennek, melyek egyfajta online könyvtárként is szolgálnak az olvasóinknak. A dental.hu oldalon díjmentesen elérhetőek a korábbi tematikus online lapszámaink is.

A mostani kiadványunkban általános fogorvosi eljárások mellett az CAD/CAM témakörével foglalkozunk.

Jó olvasást kívánok!

Laczkó Tamás, felelős kiadó

3 VI. ÉVFOLYAM – 2023. 2. SZÁM

E-Journal VI. évfolyam, 2023. 2. szám

Kiadja: DP Hungary Kft.

1012 Budapest, Kuny Domokos u. 9.

Felelős kiadó: Laczkó Tamás

Főszerkesztő: Róth Lajos

Előkészítés:

DP Hungary Kft., Sárközi András e-mail: grafika@dental.hu

Információ, hirdetésfelvétel:

Bárdos Veronika, telefon: 06-30-472-0030, 06-1-793-1874

Az újság e-mail címe: info@dental.hu

Az újság internetcíme: www.dental.hu

Terjesztés: E-mail hírlevél formájában.

A tudományos közleményeket a szerkesztőség lektoroknak adja át véleményezésre. Közlés csak egyetértő lektori vélemény, illetve a javasolt módosítások elvégzését követően lehetséges.

A cikkek szerzői vállalják, hogy az általuk elküldött írás saját forrásból származik, illetve a felhasznált anyagokat (publikációkat, illusztrációkat, képeket stb.) mindenkor pontosan feltüntetik. Írásaiknak jogi és egyéb adatvédelmi kérdéseiben felelősséget vállalnak.

A német nyelvű szakmai cikkeink magyar fordítását az Oemus Media AG Kiadó engedélyével szerkesztettük lapunkba. A fel nem használt kéziratokat, fotókat nem őrizzük meg, és nem küldjük vissza.

A hirdetések tartalmáért nem vállalunk felelősséget. A gyártó, illetve forgalmazó cégek kérésére közzétett cikkeket keretbe foglalva közöljük és (x)-szel jelöljük, azok szakmai tartalmáért a szerkesztőbizottság nem vállal felelősséget.

Nagy fejlesztéseket tervezünk, ugyanis van egy álmom 8 Egyszárnyú ragasztott híd készítése 16 Andrea új mosolya 26 Harapásemelés digitális technikával 32 Hagyomány a digitális fejlődés árnyékában – a CAD/CAM technológia analóg szereplői 40 Egyedi fogszínkulcsok a CAD/CAM fogpótlások színének meghatározásához 46 Egyszerűen szép: Természetes harmónia préskerámiával (IPS e.max Press) 56 Teleszkópos fogpótlás komplex revíziója 62 Tökéletes tervezés és megvalósítás SLA-3D-nyomtatással 72 Smile Update – a megújult mosoly 76
4 Tartalom CAD/CAM

Nyomtatott magazinok

ADENTALPRESSTEMATIKUSKIADVÁNYA

DIGITÁLIS FOGÁSZAT

2022 / III.ÉVFOLYAM–ÁR:2500FT

pot az orvoskamara kifejezésével élve: „irányítási-igazodási válság” –, amiben az egészségügy járvány eleje óta őrlődött két tárca között. Igaz, sokan csalódtak, hogy az új kormányban sem lesz egészségügyi minisztérium. Őket friss ágazati egyik első megszólalásakor azzal vigasztalta, hogy az egészségügy érdekérvényesítő képességét nem az önálló minisztérium erősíti, hanem a mi

niszter személye.

bilitás érzetét erősítheti, mivel

Tanulmányozd először az elméletet, aztán jöjjön a gyakorlat, mely belőle származik

„A helyreállító fogászat lett a szenvedélyem és a mindennapi munkám”

Hagyományos teljes fogsor hatékony átalakítása

Teljes ívű rehabilitáció primer vázra ragasztott lítium-diszilikát szekunder koronákkal

ESETISMERTETÉS ESETISMERTETÉS
PORTRÉ
INTERJÚ
Katona József hogy túl nagy változások nem vár-demi fejleményt azonban már tárca (EMMI) felszámolásával azniszter portfóliójába került. Ezzel megszűnhetett az az áldatlan álla-
-
-
őt „igen közelről”, az Országos Kórházi Főigazgatóság (OKFŐ) főigazgató-helyettesi székéből vette magakozásakor pedig azt hangsúlyozta: egészségügyben. Az első nagy léciklusban, most finomhangolásjövő szereposztásáról is: stratégioperatív végrehajtás az országos utóbbi poszton Jenei Zoltánnal indul óta tölti be hivatalt. Bemutatkozásakor azt jelezte az államtitkár: nyár közepéig elkészítik „stratégiai anyagaikat”, csak olyan megoldási javaslat kerülhet kormány elé, amit támogatnak szakmai szervezetek is. Így minden érdekelt reményekkel telve indulhatott nyaralni, bízva abban: számára is gyümölcsözően alakul majd az ágazat sorsa. A Magyar Orvosi Kamara (MOK) azonban semmit sem bízott a véletlenre. Amint felállt a kormány, egy 8 oldalas levélben részletezték belügyminiszter számára, hogy miben problémáit. Látleletükben egyebekutak szétzilálódtak, várakozási idők ellátások közel elérhetetlenné váltak,berhiány. Összességében úgy látják, hosszú, sem rövid távon nem tartszorgalmazták ajánlották hozzá a helyzet javítására egy, a 2011-es részletességű programot alkossanak. Az ellátási problémák nagyságának érzékeltetésére Kiss Zsolt Nemzeti Egészségbiztosítási Alapkezelő (NEAK) főigazgatója szolgált egészen meghökkentő adatokkal június elején. E szerint idén, az első negyedévben a kórházak közel negyedével, szakrendelők ötödével kevesebb beteget láttak el, mint a járvány előtti utolsó év megfelelő időszakában. A krónikus osztályok teljesítménye pedig korábbinak Mindez arra utal, hogy sok páciens be sem jut az ellátórendszerbe, kórházszövetség kongresszusának ma 19-31 százalékkal kapnak több indokolna. 3. oldal TUDOMÁNY ÉS KUTATÁS A fogászati implantológiát évtizedeken elérése vezérelte. kifejezés létrejöttét P. Branemarktól eredeztetik, aki elsőként írta le vitális csontszövet és vele kapcsolatba kerülő titániumból készült eszközök között megfigyelhető... GYAKORLÓ FOGORVOS AJÁNLJA Egy fogpótlás készítéséhez a fogorvos felpuhított viaszba haraptatja pácienst. harapás alapján készített fogpótlás nem csak fogak, a fogpótlás... IRÁNYVONALAK, ALKALMAZÁSOK A Cerec Accept programjának erőteljes szegmense status quo megvitatása. Mindannyian átéltük már, mindannyian éreztük már otthonosan magunkat benne. Velünk nyaralt a remény Új tanulmány szerint a nanorészecskék használata hatékonyabb módszer lehet a fogfehérítésre Anisha Hall Hoppe, Dental Tribune International A dél-koreai Sungkyunkwan Egyebizonyos típusú nanorészecskék lehetnek következő élenjáró megazért nem bíztak bennük, mert azkéről bebizonyosodott, hogy nem a fogfehérítést, és emellett antiremineralizációs tulajdonságokkalben alkalmazzák fogászatban, beleértve fogpótlást, helyreállító fogászatot és parodontológiát. A jelenleg klinikailag használt fogfehérítő szerek, mint például karbamid-peroxid és a hidrogén-peroxid, szabad gyökök keletkezése miatt potenciálisan kóros károsodást okozhatnak. Az áttekintés azt sugallja, hogy a nanorészecskék nemcsak akkor hasznosak, ha fehérítő termékekhez abrázió céljából adják őket, hanem fehérítőszerként alkalmazva még jobban működhetnek, mint meglévő termékek, mivel képesek elősegíteni remineralizációt, oxigénfajokat szabadítanak fel. A keletkező reaktív oxigénfajok oxid és az arany nanorészecskék nanorészecskék viszont hidroxiláttekintés beszámolt szerint hidrogén-perhatást fejtet ki, amikor arany nanorészecskéket használtak, valamint egy másik vizsgálatról, amely kimutatta, hogy az aranylata nem okozott biológiai problémákat vizsgált állatokban. A felülvizsgálat szerzői szerint szükség annak ellenőrzésére, hogy ezek nanorészecskék potenciálisan jelenthetnek-e toxicitási kockáA hosszú hullámhosszú fénnyel amelyről beszámoltak, azt sugallsza szén kompozitja jobb fehérítésiláltak nyilvánvaló toxicitást. Egy hanm-es diódalézerrel aktiválva egy amely titán-dioxid nanorészecskéket tartalmazott, ugyanolyan mértékű fehérítést biztosított, mint egy 35%-os hidrogén-peroxid-oldat. A csoport beszámolt hidroxiapatittal kapcsolatos kutatásról is, amelyről ismert, hogy fogak szilárdságát növeli azáltal, hogy apatitot ad demineralizált zománchoz. Az egyik tanulmány megállapította, hogy hidroxiapatit nanorészecskék fogkrém formájában javították fogak színét, egy másik pedig azt jelezte, hogy a hidroxiapatit nanorészecskéket tartalmazótonságosak. A tanulmány, amelynek címe: „Nanowhitening agents: Progress and perjúnius 15-i számában jelent meg, Forr s: www.dental-tribune.com Kép: Shutterstock/MarcinK3333 B 2022. - XViii é 3. szám The World‘s Dental Newspaper 2022 / XXVI. ÉVFOLYAM – 3. SZÁM A FOGÁSZAT INFORMÁCIÓS MAGAZINJA DENTAL HÍREK ÁRA: 2500 FT PORTRÉ „A tanulási folyamatnak soha nincs vége...” ÚJ GENERÁCIÓ „Csak komplexen kezelek egy problémát...” MED. DENT MED. DENT Kalcifikált felső metszőfog kiszámítható gyökérkezelése 3D-nyomtatott fúrósablon segítségével Szemfog és kisőrlő formázása kismetsző aplázia részárással történő kezelése során 2022 / XIX. ÉVFOLYAM – 3. SZÁM FOGTECHNIKA FOGTECHNIKUSOK SZAKMAI LAPJA ÁRA: 2500 FT Egyedi fogszínkulcsok a CAD/CAM fogpótlások színének meghatározásához A „Majesthetik” csodája – a munkamenet Makó János és Péry Eleonóra interjú –páratlan páros CÍMLAPSZTORI LABORATÓRIUM LABORATÓRIUM A kézművesség tisztelete AKIKTŐL TANULHATUNK 2022 XIX. ÉVFOLYAM – 2. SZÁM A DP HUNGARY TEMATIKUS KIADVÁNYA ÁRA: 2500 FT IMPLANTOLÓGIA INTERJÚ INTERJÚ INTERJÚ „Mindennek az alapja egy tökéletes team megszervezése és működtetése…” Fontos a rendszeres megújulás KERESKEDELMI HÍREK Nézzünk előre! „Én a szakterületek harmonikus együttműködésében hiszek…” Dental Hírek 4 szám/év Fogtechnika 4 szám/év Digitális Fogászat 1 szám/év Dental Tribune 4 szám/év Implantológia 3 szám/év bankkártyás fizetés esetén Szakkönyvek ajándékba! 2023-as éves, mind az öt magazinunkra történő előfizetés esetén választhat fogászati szakkönyveink közül egyet ajándékba 2023 DENTAL PRESS AKCIÓ!
Online magazinok Az előfizetéshez kattintson IDE! 16 újság + 16 e-Journal 45%41 000 Ft helyett 23 500 Ft

Szőnyi Balázs

NAGY FEJLESZTÉSEKET TERVEZÜNK, UGYANIS VAN EGY ÁLMOM

Interjú Kónya Jánossal

delkezik CE minősítéssel. Ilyen termékeik, illetve eljárásaik például a titánháló, a csontblokk, a titán 3D nyomtatás, és a kobalt-króm 3D nyomtatás. Ennek a fejlődésnek köszönhetően pontosan hét termékkel nyerték el a Magyar Termék Nagydíjat, a szakmai munkájuk elismeréseképpen a Magyar Termék Nagydíj Gazdaságért Nívódíjat, illetve négy alkalommal az Érték és Minőség Nagydíjat és a Vállalkozásért Nívódíjat is. 2016-ban Közép-Európa egyik legnagyobb fogászati rendezvényén, a Dental World Nemzetközi Fogászati Szakkiállítás és Konferencián a Hungarian Dental Awards - Az Év Laborja Díjat is megkapták. Kónya János cégtulajdonossal beszélgettünk a cég múltjáról, jelenéről és jövőjéről.

Gazdag és hosszú szakmai múlt áll mögötted! Tekintsünk vissza kicsit a kezdetekre. Minden cég kicsiben indul, ez gondolom, nálatok is így történt. Hogyan, milyen technikával és hány fővel indultatok el 1992-ben?

A Dent-Art-Technik Szolgáltató és Kereskedelmi Kft. több mint 30 éves múltja egészen az 1992-es alapításáig vezethető vissza. Kónya János fogtechnikusmester célja egy magas színvonalú labor kiépítése volt, mely a legmodernebb technológiákkal felvértezve tudja a megrendelői igényeket kiszolgálni. A labor a minőségi alapanyag- és technológiaválasztásnak köszönhetően nem csak az ügyfeleik részére nyújt magas szintű szolgáltatást, de számos díjat és elismerést is magáénak tudhat. Többszörös Földvári Imre Díjas, illetve a győri Innovációs Kiállítás és Találmányi Vásár Szakmai Díja is a cég hírnevét gazdagítja. Mára a Dent-Art-Technik közel 50 alkalmazottat foglalkoztat, és a gyártás mellett komoly kutatás és fejlesztés is része a mindennapjaiknak. Többek között kifejlesztették a szakma számára a Covid-19 elleni harc egy fontos eszközét, a fogorvosi rendelőkben használatos Fogászati Aerosol Elszívófejet, melynek köszönhetően nagyobb biztonságban dolgozhatnak az orvosok. A cég MSZ EN ISO 9001:2015 rendszerszabvány szerint dolgozik, de emellett MSZ EN ISO 13485:2016 (Orvostechnikai eszközök) és MSZ EN ISO 14001:2015 szabványok szerinti tanúsítványokkal is rendelkezik. Több termékük, illetve gyártási folyamatuk ren-

Örömmel tekintek vissza az 1992-es évre. Ennek aktualitása is van, hiszen pontosan 31 éve történt. Nem voltam még 24 éves, amikor belecsöppentem egy olyan vállalkozásba, amelyet már akkor magamnak hoztam létre. A mai napig ritkaságnak számít, ha egy fiatal egy vállalkozást az élete pályájának tekint, vagy egyáltalán létre tud és mer hozni egy hasonlót. Azt gondolom, hogy abban az időben, ’92ben, mindebben volt egy kis szerencse is, talán ez dominált az események alakulásában. Egyrészt maga a liberalizálódó piaci környezet megfelelő időszak és közeg volt ehhez, akkor zajlott le épp a két német állam, a Kelet- és Nyugat-Németország egyesülése, ennek következményeképpen pedig a szociális rendszer is egyesült. Ettől kezdve a nyugatnémet magasabb szintű ellátást a volt keleti oldal új német polgárai is megkaphatták, mivel a Krankenkasse lehetővé tette ezt számukra. A hétköznapi életben ebből az is következett, hogy rengeteg rossz fogazatú, de addig gyenge ellátásban részesülő páciens került a nyugatnémet oldal fogorvosi rendelőibe, akik el is várták az általuk kívánt magas minőséget. Szakmailag ennek következménye a fogászat terheltsége lett, mind időben, mind gyártásban, nem kevesebb, mint minimum féléves várakozási idővel. A német precizitás közismert, a többszörös mintapróbák, és visszaellenőrzések mellett, ha valami elkészült két hónapon belül, az már elkapkodottnak számított. Jómagam itthon tanultam a szakma alapjait a győri Fogtechnikai Vállalatnál, ezután kerültem Tóth Antalhoz, „mindenki fogtechnikusmesteréhez”, aki egy teljes generációt nevelt ki. Nagyon sok mindent köszönhetek neki. Majd jött egy lehetőség egy fogtechnikus-kapcsolaton keresztül, Németországba, Mannheim mellé kerültem, Tobias Gabriel Franz laborjába. Ő volt a másik szakmailag meghatározó ember, neki szintén sok mindent köszönhetek.

8 e-Journal CAD/CAM
Kónya János fogtechnikusmester

Megismertem a kinti viszonyokat, a német minőségi követelményeket, a helyi precizitást és kreativitást, a folyamatot, ahogy készülnek a munkák, és mindez egy teljesen új szemléletet eredményezett bennem. Kialakított egy erőteljesebb fejlődési igényt, azt, hogy folyamatosan kövessem a szakmát, minden egyes felbukkanó tendenciát, trendet. Ő nevelte belém, hogy ha csak kétévente is, de jelen kell lenni a kölni IDS vásáron, ott mindig látunk valami újat, valami apróságot, ami jelentős lehet később számunkra. A mestereim építették fel bennem a jövőképet. A német egyesülés miatt, kinti mesteremre is jelentősebb mennyiségű munka hárult. Felmerült a lehetőség, hogy miért is ne lehetne kiszervezni Magyarországra az ottani munkának egy részét. A fogtechnikai vállalat akkoriban esett szét, rengeteg kis labor volt, minimális kapacitással és akkoriban olyan labor, amely hozta volna a német precizitást és követelményt, nem nagyon volt elérhető.

ugyanúgy az elvárt német minőséget. Ezt a mai napig sok esetben így csinálják.

A német piac megszűnése után mi már rendelkeztünk egy kifejlett magyar megrendelői ügyfélkörrel, amiből aztán tovább tudtunk bővülni.

A német munkaszemlélet és az ott szerzett szakmai tapasztalat jó alapnak bizonyult. Ha valaki az említett terhelés, tempó és nyomás mellett képes megtartani az alapvető minőségi követelményeket, akkor annak csak több munkája lesz. Innen aztán rohamosan fejlődtünk, tíz év múlva már 15-en voltunk a laborban, és minden munkafolyamatot csináltunk a kerámialeplezéstől a protetikai munkákig ma már konvencionálisnak mondott terméket állítottunk elő, és viszonylag egész magas szinten.

Ezt követően jöttek újítások, változások. A következő nagy dilemma az volt, mikor bevezettük a titántechnológiát. A 2000-es év körül számtalan technológiai fejlesztés jött be, köztük a Cerec szoftvere és gépe, amely már cirkóniumot is képes volt faragni, és a CAD/CAM technológia is ekkor indult. Elsők között kezdtük ezeket alkalmazni. A titánt és a cirkónium-dioxidot mint alapanyagot behoztuk a céghez, ezzel bővítettük a palettánkat. Ezekhez az alapanyagokhoz szakmailag is fel kellett készülni. Emiatt rendszeresen jártunk Németországba képzésekre, pl. minden évben kurzust szerveztünk a Dentaurum-hoz a Lizydent Kft. segítségével. Azt vettük észre, hogy a labor, amit ’92-ben garázsvállalkozásként indítottunk, már kinőtte magát, fokozatosan és folyamatosan bővítéseket kezdtünk meg. Először a földszintet egészítettük ki, majd ráépítettünk, egészen 155 m2-ig sikerült terjeszkedni.

Erre jött az ötlet, én magam alapítok egy labort Magyarországon, Tobias Gabriel Franzcl együtt. Elkezdtünk dolgozni, és hétről hétre hoztuk a munkát, majd vittük ki. Ez nagyon fárasztó volt. Egész héten dolgoztunk, majd péntek este autóba ültünk, hogy visszaérjünk vele Németországba, majd vissza, hétfőn pedig folytattuk a munkát. Akkor már öt külsős laborpartnerrel dolgoztunk Budapesttől egészen Mosonmagyaróvárig, olyan partnerekkel, akik egyébként fejlődésre és innovációra készek voltak, valamint a munkájuk tekintetében a minőségi igényességük is megvolt. Egy fizetőképes kereslet jelent meg a vállalkozás indítására, és viszonylag gyorsan sikerült az akkori szinthez képest is magas színvonalúan berendezni a labort. Technológiailag és gépek tekintetében is az akkor legmodernebbeknek számító eszközöket szereztük be: nagyfrekvenciás öntőgép, kerámiakályhák, frézgépek stb. A szakmai, infrastrukturális és logisztikai fejlesztéseknek köszönhetően hirtelen, dömpingszerűen elindult a munka. Az itthoni orvosok – holott nem itthonra dolgoztunk – is felfigyeltek ránk. A saját nővérem is közéjük tartozott, aki akkor kezdte el a saját magánpraxisát, és az ő fogorvos barátai is velünk dolgoztak. Így felépült egy magyarországi ügyfélkör is. Pár évre rá, megszűnt a német vonal nagy része mivel elkezdték kiszervezni a munkáikat Kínába. Ezek kihelyezett laborok voltak, és árban nem voltak olcsóbbak, mint a magyar piac. Német szakamberek vezették ezeket, ezáltal a kezükben maradt a vezetés, illetve emellett hozták

Az indulás után két évvel immáron 100%-ban magyar tulajdonú vállalkozásként működtünk tovább. A cég 2012 körül ismét szintet lépett. A feleségem is bekapcsolódott a cég életébe, az adminisztrációs munkát látta el, és mivel német nyelven tökéletesen beszél, ezért német, osztrák, svájci irányba bővítettük a piacunkat. Visszatérve a laborra, megfogalmazódott bennünk, hogy szükséges lenne egy nagyobb telephely.

Akkoriban már láttuk a digitális jövőt, de a feladatok többsége még manualitást kívánt, többnyire azzal dolgoztunk. Viszont adott volt a cél, hogy a szakma jövőbeni fejlődéséhez tudjunk egy labort kialakítani. Ismét szerencsém volt, mert

9 VI. ÉVFOLYAM – 2023. 2. SZÁM
A hajdani Dent-Art-Technik laboratórium. Dent-Art-Technik laboratórium napjainkban.

meg tudtunk venni az akkori labortól kb. 100 méterre lévő ingatlant, 2015-ben nekiláttunk a kivitelezésnek is. 2016-ra elkészült az épület és január elsején be is költöztünk, amit aszerint építettünk fel, amit akkoriban a szakma jövőbeni fejlődési irányzatának vizionáltunk. Ennek a víziónak megfelelően alakítottuk ki benne a tereket, hogy legyen benne öntőhelyiség, de a digitális technikának szánt tervezőhelyiség is elférjen, illetve szempont volt, hogy a CAD/CAM-es gyártásnak is legyen külön gyártótere. Így lett a labor végül nem kevesebb, mint 465 m2. A területi bővítéssel együtt több új kolléga csatlakozott hozzánk. Szintén ettől az évtől az additív fém megmunkálást is elkezdtük.

műtéti stratégiát felállítani, és magát a terméket legyártani. Ezt akkor még nem digitális gyártástechnológiával, hanem precíziós öntéssel oldottuk meg.

Több felsőoktatási intézménnyel, többek között a Műszaki Egyetemmel is jó kapcsolatunk volt, így olyan jellegű fejlesztéseket tudtunk véghez vinni, mint a különböző anyagok tesztelése, műszaki paraméterek ellenőrzése. Folyamatosan végeztünk ilyen jellegű munkákat, több publikációnk született, amiket a Magyar Tudományos Művek Tára oldalon is megtalálhatunk.

Ennek kezdete is kalandos, de valahogy egyértelmű volt. Van egy erdélyi partnerlaborunk a Simo’s Dental Székelyudvarhelyen, akivel egyrészt személyes, másrészt nagyon jó szakmai kapcsolatot ápolunk. Simó Ferenccel a mai napig segítjük és kiegészítjük egymást. Akkoriban nyílt pályázat abban a régióban egy digitális eszköztámogatásra és javasoltam neki, hogy szerintem az általam évek óta követett fémnyomtatási technológia figyelmet érdemel, felmerült, hogyan tudnánk bevezetni a fogtechnikai gyakorlatba, és ha már ilyen jó támogatások vannak, vegyen egyet, próbáljuk ki. A projekt megvalósulása után a munkák fémvázát nyomtatásra elkezdtük Székelyudvarhelyre küldeni, ennek volt egy 48 órás érkeztetési ideje, amit elég nehezen, de bele kellett kalkulálni a munkafolyamatba. Ez okozott némi fejtörést, de nem sokáig, kb. nyolc hónapig, mert közben megjelent Magyarországon is az európai uniós támogatás. Emellett jött egy újabb partnercég, akik felajánlották, hogy csináljunk együtt egy céget a 3D nyomtatásra. Ez a közös cégünk lett a Premet Kft. Rövidebb időn belül, már mi magunk is meg tudtuk csinálni a digitális gyártást. Az országban elsőként rendelkeztünk fogászati titán nyomtatására is alkalmas berendezéssel.

Munkánk során kb. nyolc-kilenc évvel ezelőtt kaptunk egy megkeresést, ami kapcsán felmerült, ha már titánt tudunk gyártani a fogászatban, akkor miért ne próbálnánk meg azt, hogy vajon Patient Specific Implantot tudnánk-e virtuális tervezéssel nyomtatni, ehhez egy

Egy esetünkben például – amit az „orbitaalap pótlás”-ként ismerhetnek – jelentkezett egy orvos, hogy van egy páciens, egy 16 éves kamasz. A páciensnek egy nagyobb méretű tumora volt a bal oldali zygomán és az elváltozás már deformálta a szemét is. A klinikák a páciens 10 éves kora óta sikertelenül próbáltak megoldást találni erre. Az említett orvos azzal jelentkezett, hogy utolsó esélyként próbáljunk meg valamit, így alakult meg a Semmelweis Egyetemmel közösen egy klinikai csapat, illetve ezáltal egy jó munkakapcsolat is. Fél éven keresztül terveztük a műtéti stratégiát, és azt, hogy milyen megoldással, hogyan lehetne neki egy egyéni implantátumot tervezni és legyártani. Igazából, ez volt az első termékünk, ami elrugaszkodott a fogtechnikától, de mégis a fogtechnika erőforrásait, azt a szakmai tapasztalatot használta, amivel mi rendelkeztünk. Ez alapozta meg számunkra azt, hogy elkezdtünk egyéni implantátumokkal is foglalkozni. Elsősorban maxillofacialis és craniofacialis implantátumokat kezdtünk el gyártani, beleértve ebbe a maxillaerősítéseket, illetve az orbitaalap-erősítéseket, a koponyapótlásokat, állkapocspótlásokat, sőt még ízületi fejecskéket is előállítottunk. Vállalkozásunk számára ez egy új irány volt, többek között ezeken a feladatokon már több mérnök is dolgozott nálunk.

Győrben nagyon szép modern épületben található a labor. Mekkora jelenleg a labor, és pontosan hány fővel dolgoztok együtt? A technikusaitok a fogtechnika mely területeit fedik le?

Mint ahogy említettem korábban, a labor 465 m2, ami nemrég további 150 m2-rel bővült, ugyanis külön tervezőrészleget hoztunk létre, ahol a mérnökeink a fejlesztőmunkát végzik, ehhez pedig külön géptermet is építettünk.

10 e-Journal CAD/CAM
Dent-Art-Technik laboratórium, napjainkban. A Dent-Art-Technik csapata.

Óriási az a műszaki szaktudás, ami felhalmozódik egy fogtechnikusban, csak ki kell tudni használni a képességeket, készségeket és meg kell találni azokat a piaci igényeket, amikre ki-ki fel tudja használni saját tudását és erőforrását.

Egy jó fogtechnikus – ha felismeri ezt, és ha tovább is képezi magát – mindenhez is ért. Pl. ahogy jómagam is tettem, műszaki szakirányba mentem tovább, abban fejlesztettem a képességeimet. Elvégeztem a Műszaki Egyetemet, mellette több szakképzést is, mindezt főleg csak azért, mert azt láttam, hogy mennyi mindent nem tudok még, így elkezdtem fejleszteni a tudásomat. Magyarországon elsők között voltam, aki a számítógépes gyártástervezést MSc szakirányon elvégezték, sok minden erre épült fel. Mikor okleveles gépészmérnökként biomechanikával és mechatronikával kezdtem foglalkozni, akkor azt tapasztaltam, hogy mellém szegülnek a hozzám hasonló érdeklődésű emberek.

Jelenleg hozzávetőlegesen tíz mérnök dolgozik nálunk, akik a fejlesztésben tevékenykednek, de van biológusunk, orvosunk, aki pl. egy teljesen új szakterülettel, a regeneratív medicina technológiájával foglalkozik. Igyekszem a szemléletet, a gondolkodást átadni, így navigálni a kollégákat is. Mindig hangsúlyozom a kommunikáció értékét és fontosságát, nem csak egymás között, de a megrendelőkkel szemben is. Nagyon fontosnak tartom a folyamatos fejlődést, ennek megfelelően rendszeresen csoportos és egyéni képzéseket is tartunk vagy veszünk rajta részt. Laborunkban pár kolléga elvégezte a fogászati szakasszisztensi képzést, emellett 5 fő a dentálhigiénikus képesítést szerezte meg, de többen vannak, akik jelenleg is egyetemre járnak. Összességében több mint ötvenen dolgozunk a cégcsoportunknál. A kérdésre pedig a rövid válasz az, hogy összességében mindennel foglalkozunk.

Mindig is élen jártatok a technológiai fejlesztések területén, jelenleg milyen eszközparkkal rendelkeztek, és milyen speciális vásárlói kéréseket tudtok kiszolgálni?

Mondhatnám, hogy mindenünk megvan, ami szükséges lehet a munkánkhoz, de ez így nem lenne teljesen igaz. Mindig van valami újabb eszköz, gép vagy berendezés, aminek a használata gyorsítja vagy pontosítja a saját termékeink előállítását és könnyíti a munkánkat.

A kivehető protézistől az egyéni implantátumon keresztül, az implantációs protetikának a szögtört csavarozásáig, mindent csinálunk, valamint emellett egy biotechnológiai irányvonalat is képvisel a labor.

Mindig felmerül bennünk valami új eszköz igénye, most pl. szükségünk lenne egy sejtszámlálóra, és egy nagy felbontású sztereó mikroszkópra, valamint mikro CT-re. Ezek alapján jogosan adódhatna a kérdés, hogy egy fogtechnikai laborban a legfontosabb és legszükségesebb dolgok ezek az eszközök? Nem, de az egyik szakirányunk a regeneratív medicina, azaz, hogy az implantátumhoz biológiailag csontot is felépíthessünk. Ha így teszünk, tehát ha csontot építünk fel, akkor oda implantálni is lehet, sőt még a hagyományos körszimmetrikus implantátum is szóba jöhet. Az úgynevezett PRF-technikával, illetve a BMG termékből, azaz a páciens saját szöveteiből saját csontot hozhatunk létre azért, hogy a klasszikus fogtechnika is bekapcsolódhasson, így laborunk akár fogpótlást is tudjon készíteni ilyen esetekben. A labor rendelkezik három fémnyomtatásra alkalmas géppel, amik

titán- és kobalt-króm termékek nyomtatására használhatók. A 3D polimer nyomtatók területén a Formlabs 2-ből öt darabunk van, de a gép 3-as változatával is rendelkezünk. Munkánkat segíti továbbá két Magna mintanyomtató. Rendelkezünk titán elektromechanikus polírozásra alkalmas géppel is, emellett eszközeink között megtalálható három darab 5 tengelyes marógép is, ebből az egyikre különösen büszkék lehetünk, ami a magyar gyártású Pi Dental Kobra, valamint két darab HAAS ipari 5 tengelyes marógép is. De a sor nem ért véget, két precíziós utómunkálatokhoz használatos tömbszikra-forgácsoló géppel is rendelkezünk, amelyek akkor nagyon hasznosak, amikor nagy pontosságú illeszkedéseket kell megvalósítanunk.

A laborban lézerszinter, vagyis 3D fémnyomtató is található. Ha jól tudom, titánvázakat is nyomtattok, amely gép itthon, először nálatok volt. Hazánkban van a titánnyomtatásra kereslet? Miket és milyen mennyiségben nyomtatnak még ezzel a technológiával?

Természetesen! 2016-ban elsőként vezettük be a fogászatra alkalmas additív titángyártási technológiát, és mind a mai napig mi vagyunk azok, akik folyamatosan gyártunk is vele. Mivel a titán mint fém öngyulladásra képes csupán attól is, hogy statikusan súrlódik, ezért nagyon komoly elővigyázatosság kell hozzá, és szakértelem.

Rendszeresen elemezzük a nyomtatóink minőségét és számos meghibásodás, illetve azt jelző jelenség jöhet szóba, ilyen pl.: a lézerforrás kimerülése, a különböző gázáramlási folyamatok stb. Az optika folyamatos fókusztartása az, ami befolyásolja az állandó minőséget, emiatt folyamatosan próbateszteket csináltatunk egyetemekkel, és ezáltal ellenőrizzük a gyártás minőségét. Véleményem szerint ezt nem sok labor mondhatja el magáról, de én úgy érzem, és azt tartom jónak, ha már csinálok valamit, azt csináljam jól és egyre jobban! Egyébként mindenkinek ezt ajánlom, hogy kellő alapossággal figyeljen oda arra, amit csinál.

Az egyik nyomtatónk, amely titánt nyomtat, CE megfelelőséggel rendelkezik. Ennek megfelelően ezt valóban csak titán nyomtatására használjuk. Különösen odafigyelve, hogy semmilyen külső szennyeződés ne érje a gyártási folyamatot, ez szükségessé tette, hogy létrehozzunk egy CE minősítéses gyártási folyamatot. Az ezekhez tartozó protokollokat nagyjából 4 év alatt dolgoztuk ki és olyan részletekre tér ki, mint pl. a porkezelés, a szűrés-szitálás metódusa, hogy meddig használunk fel egy adott port, valamint arra is jó gyakorlattal rendelkezünk, hogy hogyan, és miként tudjuk a lézerekkel befolyásolni a minőséget. Erre a szaktudásra alapozva, hoztuk létre a titánfelhasználói képzéseinket az érdeklődőknek, melyeken például

11 VI. ÉVFOLYAM – 2023. 2. SZÁM
Koponyacsonthiány-pótlás.

megtanítjuk számukra a titánvázra való kerámialeplezés technikáját.

Kutatás-fejlesztéssel is foglalkoztok, köztük olyan terméket fejlesztettetek ki, mint a fogászati Aerosol Elszívófej. Hogyan jött az ötlet, és hogy gyártjátok le a fejeket? Milyen egyéb fejlesztéseitek vannak még a piacon?

Rengeteg projekt áll mögöttünk, ebből az egyik legismertebb a Dental Aerosol Exhaustor Elszívófej. Az elszívófej a legtöbb fogászati exhaustor típusra csatlakoztatható az általunk tervezett és gyártott többféle adapternek köszönhetően. Kifejlesztése a vírushelyzetnek köszönhetően történt meg, funkcióját tekintve pedig a fogászati kezelések során felszabaduló – esetleg fertőző – szájpermetnek a rendelő légterébe való terjedését gátolja meg. A fejeket 3D nyomtatással és tervezéssel állítottuk elő, de már rendelkezünk a nagy sorozatú fröccsöntés lehetőségével, amihez olyan alapanyagot választottunk, amely orvostechnikailag a maximumot tudja kihozni a rendszerből. Ezzel a fejlesztésünkkel a Covidea Ötlet és Startup verseny nevű pályázaton is nyertünk. Jelenleg dolgozunk még egy elszívó rendszeren, amely tökéletesen ki tudja használni az aerosol elszívófejet, így közben az exhausztort is kényelmesen használhatja a fogorvosi személyzet, de ezek mellett van benne egy komplett filter és UV fertőtlenítő rendszer, ami relatíve könnyű és halk. A súlyos vészhelyzet körülményei tették szükségessé, hogy kifejlesszünk egy különleges kámzsát, amely a Covid fertőzöttek kezelésére felállított speciális személyzet védelmét látja el. Ennek a lényege, hogy a védőruhához csatlakoztatható, szűrt-tisztított levegőt juttat a felhasználó számára, de ezek mellett méri ennek a paramétereit, a szűrők elhasználódását, valamint méri a maszkon belüli túlnyomást is.

Nemrég létrejött a webshop, ahol többek között az Aerosol Elszívófejet is meg lehet vásárolni. Milyen termékek elérhetők még a webshopon keresztül, és mivel tervezitek bővíteni ezt a kínálatot a jövőben?

Van egy több éve fennálló, jó kapcsolatunk az egyik kínai gyártóval, az úgynevezett VSmile terméket gyártó céggel. Mivel a terméket mi is használjuk és bevált számunkra, ezért úgy gondoltuk, miért is ne forgalmazhatnánk. Megkaptuk rá a kizárólagosságot, és felépítettünk egy raktárkészletet, így mindenki más számára is elérhető lett a termékcsalád. Nem csak az elszívó és egyéb termékek, de a szolgáltatásaink is elérhetőek a webshopunkon keresztül. Emellett van most már egy BMG-s webshopunk is, ahol a csontpótlás alapanyagait, illetve eszközeit lehet megvásárolni. A webshopot a középső fiam kezeli és irányítja, aki informatikus mérnök és

most tanul Bécsben MSc szakon. További újítások és fejlesztések várhatóak itt is.

Hírneveteknek köszönhetően a hazai fogászati piac mellett külföldön is vannak ügyfeleitek. Milyen országokba dolgoztok, és főleg miket rendelnek tőletek? Miben különbözik a külföldi piacra dolgozni?

Nem könnyű a külföldi piacra dolgozni, abban a tekintetben, hogy fel kell ismerni a helyi piaci igényeket, felkészültnek kell lenni a helyi szabályozásokból, pl. az ottani TB, vagy MDR ismeretéből, ezt jelenleg a németek követelik meg a leginkább. Ez tavaly május 26. óta kötelező a szakterületünkre nézve. Dolgozunk egyébként francia, német, angol, norvég, cseh, szlovák, osztrák, román piacra, de az Egyesült Arab Emirátusokba is. Ott pl. tavaly év elején tartottunk előadást a helyi Sharjah-i Egyetemen nagy sikerrel.

Végezetül, kérem mesélj a cég jövőbeni terveiről, milyen fejlesztéseket terveztek a laborral kapcsolatban? Nagy fejlesztéseket tervezünk, ugyanis van egy álmom. Ez pont egy PhD. fokozat kapcsán jött ötlet, ha már gyártunk implantátumokat. Az összes implantológiai cég azzal foglalkozik, hogyan és mi módon kezelje a felszínt ahhoz, hogy a szükséges osseointegráció és a klasszikus osseoszintézis létrejöjjön a környezeti szövetekkel, értelemszerűen a csonttal, illetve a megfelelő helyen a nyálkahártyával. Ebből jön a kérdés, hogy milyen felületkezelés a legideálisabb. Mindenki a kalcium-foszfátot, és egyéb bevonatokat próbálgatja, legtöbben az SLA alapú felszínt. Erre jönne a mi megoldásunk, egy speciálisan felülkezelt egyéni titánimplantátum, ez lenne a jövő. Ez az, amit szeretnénk megugrani, ehhez kell ez a nagyarányú és szükséges fejlesztés a laborban, aminek a küszöbén állunk éppen. Egy kapcsolódó pályázati projektet is pozitívan bírált el az Európai Unió és a magyar állam. Ez nem kis feladat lesz, szakmailag meghatározza a következő öt évünket. Ebben minden benne van, az infrastrukturális fejlesztés, az eszközbeszerzés, a szakmai fejlesztés, egyszóval minden. Ha sikerül, akkor valami olyan újszerűt hozunk létre, aminek az eredménye akár az is lehet, hogy nem fog kelleni többé egy idegennek tűnő fémet alkalmazni ahhoz, hogy a sérült vagy hiányos csontszerkezet rehabilitációra kerüljön.

12 e-Journal CAD/CAM
Dental Aerosol elszívófej. VSmile cirkóniumtömb.
Scan body Titán felépítmény Csavarozható megoldás KIZÁRÓLAGOS MAGYARORSZÁGI FORGALMAZÓ EREDETI GYÁRI FELÉPÍTMÉNYEK CAD/CAM RENDSZEREKHEZ Alpha Implant Kft. / 9400 Sopron, Deák tér 45. +36 1 353 9090 / info@alphaimplant.hu / www.alphaimplant.hu

Fogászati Kiállítás és Kongresszus 2023. március 24–25.

KÉT NAP A JÖVŐÉRT – Lépjen velünk hipertérbe!

VIII. UPGRADE CONGRESS
Esztétika & Endo Implantológia Digital & Ortho Prevenció
Dr. Luigi Canullo Dr. Felkai Tamás Dr. Borbély Judit Dr. Baktai Zoltán Dr. Fráter Márk Dr. Borzási Imre Dr. Joób-Fancsaly Árpád Dr. Nagy Pál Dr. Dumitru Muntean Dr. Filipa de Almeida Dr. Alexander Tzovairis Dr. Baráth Zoltán Dr. Daniel C. Neves Dr. Walter-Kovács Noémi Dr. Döbrentey Zsolt Dr. Michał Ganowicz Dr. Nagy Zsolt Dr. Molnár Bálint Dr. Simon Fanni Dr. Tóth György

FLEXI KÁVÉZÓ

LAST MINUTE kedvezmény február 28-ig!

Jelentkezzen most:

Gálaest

Program:

2023

VIII. UPGRADE HUNGEXPO

Helyszín:

www.upgradecongress.hu
Mini színpadon gyakorlati bemutatók, többféle területen
Talkshow az előadókkal
Várjuk szeretettel a 4 DÍJMENTES élményhelyszínen a kiállítás 2 napja alatt!
LIVE DEMO
BUBORÉKbár DENTAL ARÉNA
2023. március 24., péntek 19.30–01.00
19:30 kapunyitás, asztalfoglalás, welcome koktél Hász Eszter-Gáspár Károly duó zenél az este alatt 20:00 köszöntő, büféasztalos vacsora ínyencségekkel 20:30 revüműsor 21:30 élő koncert – Rubor Labii zenekara (dr. Benyőcs Gergely, dr. Mócz András, dr. Siklós Csaba, dr. Sidó Levente) 23:30 funkypop & dance
Orfeum, a Pesti Mulató, 1073 Budapest, Erzsébet körút 43-49. Részvételi díj: 20 000 Ft (03. 01-től: 25 000 Ft) Jegyek korlátozott számban igényelhetőek! További információ: info@upgradecongress.hu, www.upgradecongress.hu

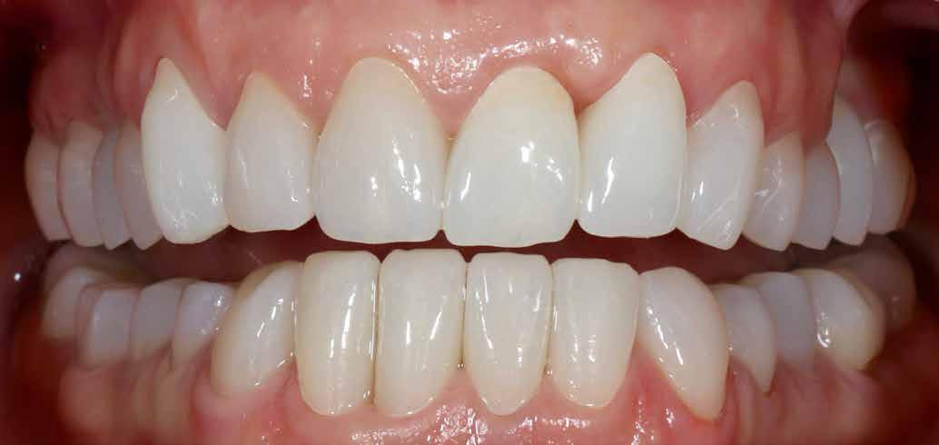
EGYSZÁRNYÚ RAGASZTOTT HÍD KÉSZÍTÉSE

A ragasztott hidak gyakori alternatívái az implantátumoknak. Kedvezőtlen állcsontviszonyok vagy csekély csontkínálat esetén ez a technika kiváló a foghiány pótlására. A hosszú távú sikeresség érdekében azonban érdemes néhány szempontot kiemelni. Fogorvos-fogtechnikus szerzőcsapatunk lépésről lépésre haladva mutatja be, mitől függ a siker.

Eredetileg ezt a technikát a marylandi egyetemen találták ki és alkalmazták, Maryland híd elnevezéssel. A készítés módszere alapvetően nem nemesfém vázon kerámia leplezésű köztes tagot jelentett, két, fém-szárny-szerű elhorgonyzással.

Az eredeti véleményt, mely szerint a hidat legjobb két pilléren elhorgonyozni, gyakran megcáfolta egy ragasztott szárny leválása. Több mint tíz éve már ezért laboratóriumunkban csak „egyszárnyú” ragasztott hidakat készítünk. Előnyeik kézzelfoghatóak a „klasszikus” variációhoz képest:

• nincsenek mereven összefogva a pillérek, így megmarad az egyes támasztó elemek egyéni mozgásszabadsága

• a páciens javát szolgálja a preparálás következtében elvesztett kevesebb foganyag

• az egyszárnyú ragasztott híd tisztítása egyszerűbb, ellentétben a kétszárnyú variációval

Természetesen gyakran felmerül az ideális anyag kérdése. Mi a cirkónium-dioxid vázat ajánljuk, szokott módon kerámiával leplezve. Számos stúdium és laboratóriumi próba igazolja e feltevés helyességét. A bemutatásra kerülő esettel szeretnénk demonstrálni, mire kell figyelni lépésről lépésre az említett technika alkalmazása során.

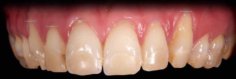
A 80 éves páciens 22-es fogának hiányát szerette volna megoldatni a rendelőben. Az implantációt költségessége miatt nem tudta vállalni. A 21-es fog már koronával volt ellátva, és kategórikusan elutasította ennek lengőtagos híddal való lecserélését, így egyértelmű volt a 23-as fogon való rögzítés szükségessége.

16 e-Journal CAD/CAM
Massimiliano Trombin, dr. Roland Mantsch, Lorenzo Willsch (Németország) 1. a kép 1. kép 2. kép 3. kép

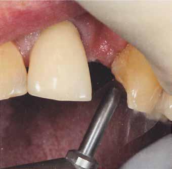
Az egyszárnyú ragasztott híd mellett döntöttünk (1. a kép)

Mivel a szemfogak általában nagyon közel vannak az antagonistához, kettes pótlására a szárnyat inkább a nagymetszőre szoktuk tervezni. Ehhez persze invazív preparációra van szükség – érintetlen fogak esetén ez lehetőleg kerülendő.

A bemutatott esetben azonban könnyen döntöttünk, mivel a szemfog disztális részén nagy tömés volt. A defektust bevontuk az eset megoldásába.

A preparálást követően Provil-lal vettünk lenyomatot.

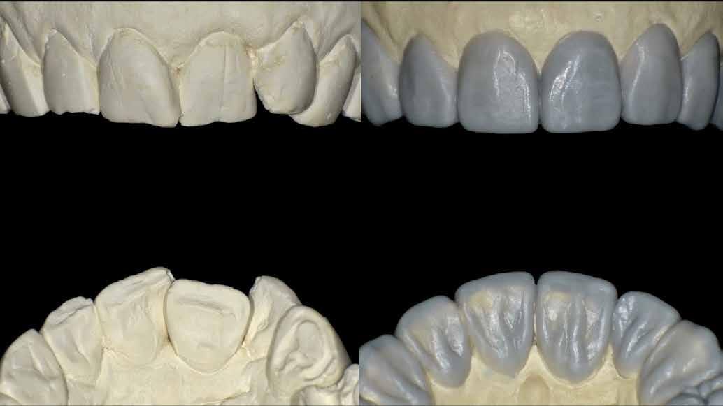
A laboratóriumban szekciós minta készült, blokk-stiftekkel (1. kép) , amelynek készítése során nagy figyelmet szenteltünk az ínymaszk (Majesthetik- Gingiimplant picodent) és a felfekvő lengőtag területének (2–6. képek)

A minta beolvasása után számítógéppel terveztük meg a híd vázát (7. kép). 0,06 mm-es cementrést terveztünk a teljes karfelület alá, 1 mmre végződve a preparáció szélétől (8–11. képek)

17 VI. ÉVFOLYAM – 2023. 2. SZÁM
4. kép 5. kép 6. kép 7. kép 8. kép 9. kép

Így egyenlítettük ki a kötésjavító vastagságát, sikeresen. Az adatokat elküldtük az AHRtec-frézközpontba, néhány nap múlva visszakaptuk a cirkonvázat (12. kép). A marási paraméterek optimális betartása következtében a passzítás egyszerű volt (13. kép)

Most következett a legfontosabb lépés: a szárny belső felületét HotBond-dal fújtuk le (14. kép). Ez üvegszerű, savazható kerámia, amely beszívódik a cirkonba, és optimális kötést eredményez a pillérfogon.

18 e-Journal CAD/CAM
10. kép 11. kép 12. kép 13. kép 15. kép 14. kép

A leszórt felszínnek porszerűnek kell lennie. A széli fölöslegeket az infiltrációs égetés előtt el kell távolítani, különben pontatlan lesz az illeszkedés (16. kép)

Az égetést a gyártó ajánlása szerint végeztük (17–18. képek)

Az égetési hőmérséklettől függően meg kell bizonyosodnunk arról, hogy megfelelő mennyiségű anyagot hordtunk fel. A kerámiarétegzés után már nem lehet újólag felhordani Hot Bond-ot, a magas hőmérséklet miatt. A szárny felületének optikai ellenőrzése után a hídtagot kezeltük Frame-Shade-del (19. kép) . Ezután az alap -

A DCMhotbond égetési adatai

starthőmérséklet 450 °C

szárítás

2 perc

égetési hőfok 1000 °C

emelkedés 60 °C/perc

hőntartás

1 perc

vakuum be 450 °C

vakuum ki 999 °C

19 VI. ÉVFOLYAM – 2023. 2. SZÁM
színre színezett Liner-t hordtunk fel (20. kép) . A jobb fénytörés érdekében a Liner-t beszórtuk vállmasszával (21. kép) 16. kép 18. kép 20. kép 21. kép 17. kép 19. kép

Az égetést követően a köztes tag kialakítása volt soron. A gerinc gravírozását a kezelőorvossal történt egyeztetés szerint kell elvégezni (22. kép)

A bazális felületet vállmasszával egészítettük ki, amelyet a picodent Majesthetic Divi folyadékkal izoláltunk a mintától (23–25. képek)

A vállmassza égetése után a leplezést a szokott módon végeztük a kettesen (26–28. képek). Most következett az ún. „présnyomó” készítése fényre keményedő anyagból. Ezzel lehet

20 e-Journal CAD/CAM
összenyomni és kondicionálni a lágyszövetet a kész híd behelyezése előtt (29. kép) 22. kép 23. kép 24. kép 25. kép

A munkával együtt egy pozicionáló sínt is leszállítunk, amelyet a mintán készítettünk (30–32. képek)

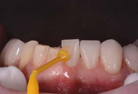
Az illeszkedési pontosságot ellenőrző próbát követően a szárny ragasztási felszínét homokfújtuk, folysavval savaztuk, és Monobond-dal szilanizáltuk. Ezzel egy időben a fo-

gon lévő ragasztási felszínt is kondicionálták az adhezív ragasztás előírásai szerint.

Ezt követte a felület aluoxidos lefújása, foszforsavas maratása és a Syntac-Classic felhordása (33–35. képek)

Ezt követően felhelyezték a labor készítette prés-nyomót, és kb. öt percig komprimálták vele a gingivát (36–37. képek)

Ez még lehetséges volt, mert az eszközt úgy készítettük el, hogy nem érintette a preparált, előkészített felszínt. Ha túl csekély a gingivára gyakorolt nyomás, az eszköz bazálisan flow kompozittal kiegészíthető (38. kép). Természetesen ebben az esetben a hídtagot is ki kell egészíteni kerámiával.

A szárny ragasztási felszínét folyékony műanyaggal fedtük, és a preparált, kondicionált felszínre nyomtuk (39–40. képek)

21 VI. ÉVFOLYAM – 2023. 2.
SZÁM
26. kép 27. kép 29. kép 30. kép 28. kép

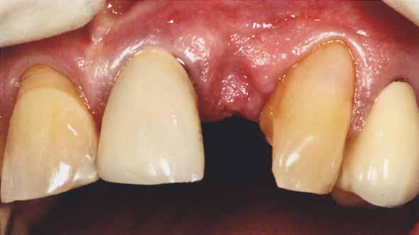
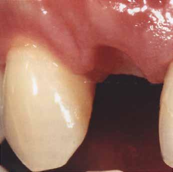
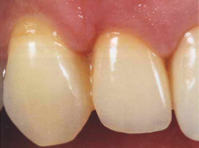
Mivel a prés-eszközzel összenyomtuk a gingivát, a hidat különösebb nyomás nélkül a helyére lehetett illeszteni, és a pozicionálóval a helyén is volt tartható. A szárnyat a palatinális felszínen gyémántozott csipesszel pozicionáltuk és fixáltuk a fogon. Végül nagy teljesítményű lámpával megkeményítettük a

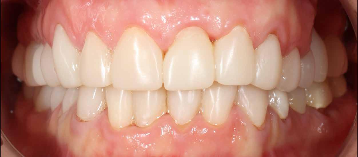
kompozitot. A ragasztó maradványait eltávolítottuk. A végeredmény – a 22 fog tökéletesen, harmonikusan illeszkedik a maradék fogazatba (41. kép)

A páciens, ajánlásunk ellenére, sajnos nem kívánta felújíttatni a két szomszédos koronáját. Ez – tekintetbe véve magas

22 e-Journal CAD/CAM
31. kép 32. kép 33. kép 34. kép 35. kép 36. kép

70 FPS

Nincs több vezeték

Vezetékektől mentes, a szkennelés bármilyen szögben kényelmes. Az approximális területek könnyedén, korlátok nélkül szkennelhetők.

Gyors és pontos

Akár 70 FPS szkennelési sebesség. Megtapasztalhatja a Medit legkelendőbb modelljének elképesztően egyenletes és gyors szkennelési teljesítményét. Élvezze az i700w gyors sebességét vezeték nélkül, hibátlanul.

Ügyfélszolgálat

Cégünk személyreszabott kurzusokat, ingyenes ügyfélszolgálatot, távszervizt és cseredarabot kínál felhasználóink számára

Hosszú üzemidő, mégis könnyű Kiemelkedő akkumulátoros üzemidő, a hosszantartó szkennelésekhez az Ön kényelme érdekében.

Erőteljes hardver találkozik a sokoldalú szoftverrel

Kényelemre optimalizálva. Nemcsak hardveres szempontból, hanem szoftveresen is. Az i700w vezeték nélküli szkenner a MEDIT legújabb technológiáit tartalmazza.

9400 Sopron, Faller Jenő u. 5 | Tel.: 99/508-698 | Fax: 99/508-696 iroda@dentalplus.hu | www.dentalplus.hu BCW Irodaház . 1113 Budapest, Nagyszőlős u. 11-15. / I. emelet (Budapesti bemutatótermünkben előzetes egyeztetés alapján tudjuk fogadni Önöket!)

életkorát, és a gyógyászati indokolatlanságot, érthető volt. A páciens redukált esztétikai igénye azonban nem vezethet ahhoz, hogy ne a tökéletesre törekedjünk, a természeteshez illeszkedésre, beolvadásra.

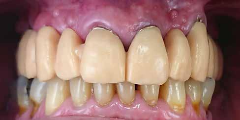
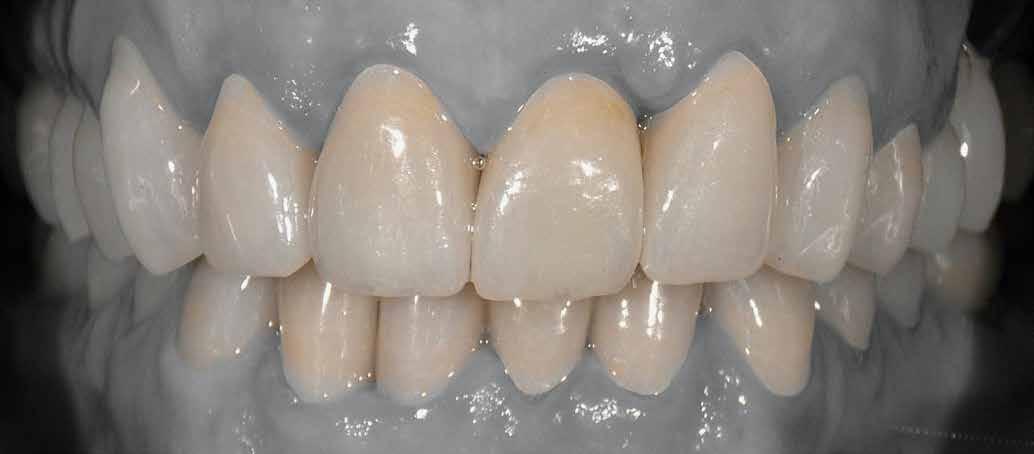
Végezetül részletfelvételek egy másik ragasztott hídról, amely hasonló módon készült, hat hónappal a behelyezés után (42–43. képek)

A hídtag enyhe mozgathatósága miatt az íny stimulálva volt. Ezzel a vérellátás további segítséget kapott, ami a lágyszövet kiváló adaptálódását hozta magával.

Forrás: Das Dental Labor 2020/12

24 e-Journal CAD/CAM
37. kép 38. kép 39. kép 40. kép 41. kép 42. kép 43. kép

MOFI

Magyar Országos Fogtechnikus Ipartestület a fogtechnikus vállalkozók érdekképviselete

TISZTELT KOLLÉGÁK!

Szeretnénk megerősíteni, hatékonyan kiépíteni a szakma érdekérvényesítését. Ez évek óta elhanyagolt terület, elengedhetetlen, hogy ezeket más alapokra helyezzük, sokkal intenzívebben, és főleg eredményesen kell, hogy a szakma érdekei érvényesüljenek és jövőbe mutatóak legyenek. Bízunk benne, hogy munkánk belátható időn belül eredményeket tud elérni, ehhez két dologra lenne szükségünk, elsődlegesen egy kis időre, és ami a legfontosabb, támogatásra. Kérnénk azokat a vállalkozókat, akik szeretnének részt venni egy megújult, modern és kreatív szakmai szervezetben, belépésükkel támogassanak minket. Nagyon fontos, hogy a jelenlegi létszámunkat növeljük, ezáltal is erősítve a szakmai képviseletet. Higgyék el, közösen sokkal többre leszünk képesek, minél több vállalkozást tudhatunk magunk mögött, annál messzebb elér a hangunk.

„Tiszteld a múltat, hogy érthesd a jelent, és munkálkodhass a jövőn.” (Gróf. Széchenyi István)

Tisztelettel: Róth Lajos MOFI elnök

Gérald Ubassy Franciaország leghíresebb kerámia leplező mestere

és Péry Eleonóra interjú – páratlan

Hant Szabolcs, egy magyar fogtechnikusmester sikerútja Ausztráliába

CÍMLAPSZTORI

AKIKTŐLTANULHATTUNK

A nyolcdanos fogtechnikusmester

A Majesthetik varázslata

Úgy segíts, hogy ne árts!

Egyedi fogszínkul- csok a fogpótlásokCAD/CAMszínének meghatározásához A csodája„Majesthetik” – a munkamenet

A Fogtechnika magazin évente 4 alkalommal jelenik meg.

2023-as előfizetését!

Tagsági díj: 12 000 Ft/év Jelentkezni a

Jelentkezzen 2023. február 28-ig a MOFI tagjának, és ajándékba adjuk a Fogtechnika
mofielnok@gmail.com
címen lehet.
2022 / XIX.ÉVFOLYAM–1.SZÁM
FOGTECHNIKUSOK SZAKMAI LAPJA
FOGTECHNIKA
FOGTECHNIKA ÁRA: 2500 FT
LABORATÓRIUM LABORATÓRIUM CÍMLAPSZTORI AKIKTŐL TANULHATUNK 2022 / XIX. ÉVFOLYAM – 3. SZÁM
FOGTECHNIKUSOK SZAKMAI LAPJA ÁRA: 2500 FT
FOGTECHNIKA
Makó János
CÍMLAPSZTORI LABORATÓRIUM LABORATÓRIUM A tiszteletekézművesség AKIKTŐL TANULHATUNK
páros

ANDREA ÚJ MOSOLYA

Egy nehéz eset ideiglenes ellátása digitálisan

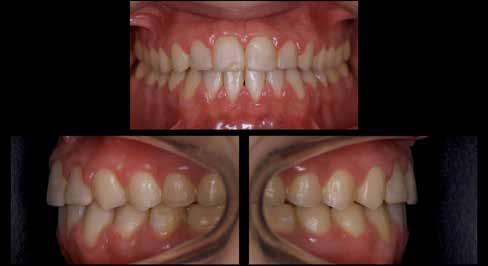
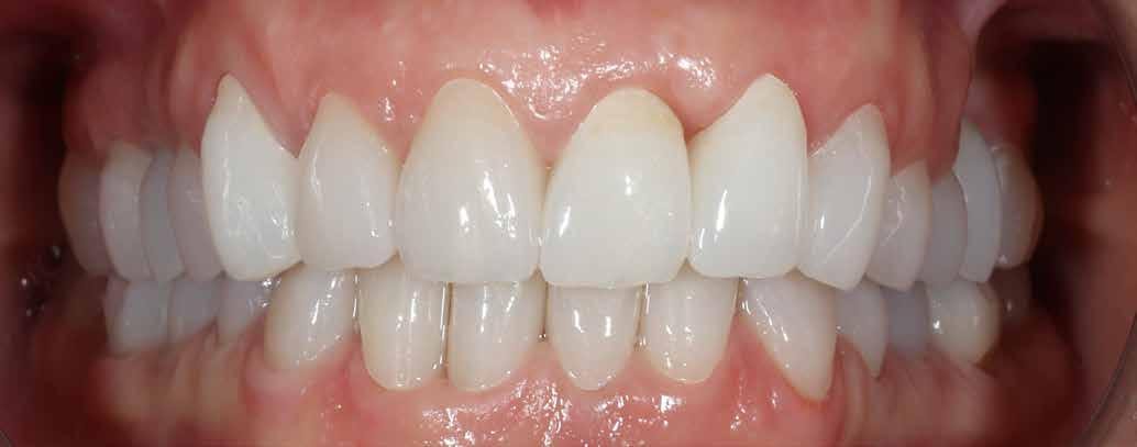
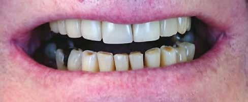
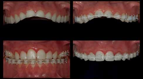
„Andrea" esete lenyűgöző példa arra, hogy egy fogászati team hogyan adhat új életet valakinek. Digitális ideiglenes fogsor készítésével a fiatal páciensnél komoly életminőség-javulást értek el.

A cikkben egy fiatal nő kezelésének interdiszciplináris megközelítését foglaltuk össze, aki fogászati állapota miatt hoszszú ideje szenvedett fizikálisan és pszichésen is (1. ábra)

Az ilyen esetek megoldásához elengedhetetlenek - a fogászati és fogtechnikai know-how mellett - a jól bevált kommunikációs gyakorlat a praxis és a laboratórium között, valamint a gyártási technológiák összehangolása. A végeredményhez az ideiglenes megoldáson keresztül vezetett az út, mely „normális” funkcionális és esztétikai helyzetet tett lehetővé.

Páciensünk előtörténete

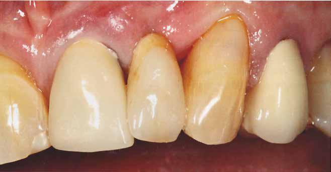
Amikor a 25 éves Andrea először konzultált a rendelővel, már több éve küszködött súlyos panaszokkal. Állapota két különböző betegségnek köszönhető, melyek egyrészt önmagukban, másrészt egymással kölcsönhatásban is súlyos következményekkel jártak. A fiatal nő veleszületett genetikai elváltozásban szenved, melynek tünete többek között a gyenge zománcfejlődés. Továbbá a beteget fibromyalgiával is diagnosztizálták, mely krónikus fájdalom rendellenesség, ami komoly tünetegyüttessel járó pszichés szorongás. A betegség egyik következménye az volt, hogy a páciens az elmúlt években átlagosan napi három-négyszer hányt. Az ebből fakadó savas erózió a már amúgy is veszélyben lévő fogazatot tovább roncsolta (2. ábra)

A betegség következményei

A páciens elviselhetetlen fájdalmakról számolt be, beleértve a többszörös szájüregi fertőzéseket is. Az elmúlt években az előírt számos antibiotikumos kezelés egyre gyengébb hatásfokkal működött. A fertőzések következtében több fogát is extrahálni kellett. A fogászati állapotával együtt az étkezés minősége is romlott. A súlyos esztétikai korlátok is terhet jelentettek. A psziché és az önbizalom komoly károkat szenvedett. Fogorvosnál tett korábbi látogatásai kellemetlen élményt jelentettek. Emiatt kezdetben vonakodott beleegyezni a komplex terápiába. Empatikus, érzékeny beszélgetések folyamán körvonalazódott számára a kezelés fontossága.

Kezelési célok

Sok konzultáció után definiáltuk az első kezelési célt: a nem megtartható fogak extrahálása és köztes helyreállítás ideiglenes fogsorral. A második kezelési fázisban implantátumok behelyezésére került sor. Elsősorban az életminőség javítása állt a középpontban. A páciens lehetőség szerinti komfortos kezelési menete és magas kiszámíthatóság biztosítása a team számára, vezetett a digitális fogászati megoldáshoz. Mivel a páciens egy pillanatig sem szeretett volna fogak

26 e-Journal CAD/CAM
1. a–c ábrák: Kiindulási helyzet: fiatal páciens komoly fizikai és pszichés szenvedéssel.

nélkül maradni, az ideiglenes fogsornak már rendelkezésre kellett állnia a rendelőben az extrahálás időpontjára.

Terápiás eljárás

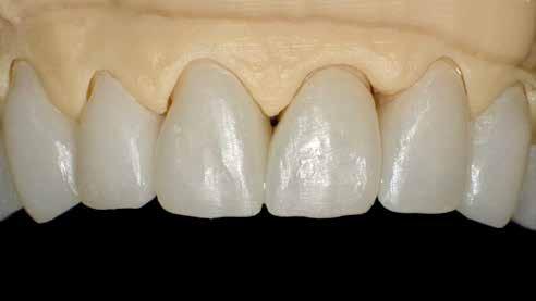
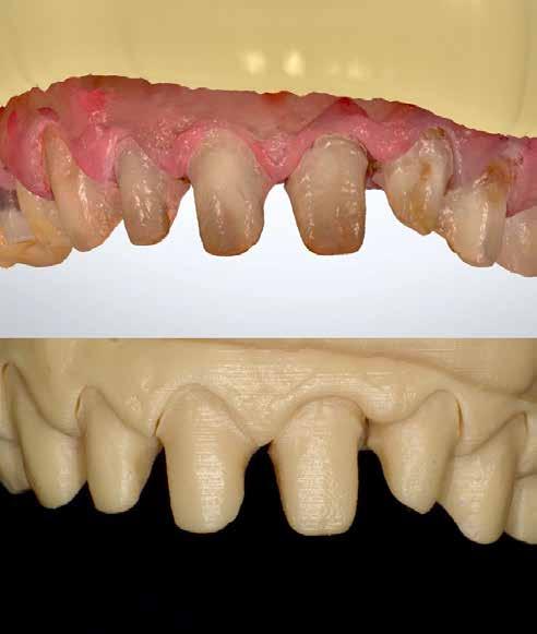
A felső és az alsó állkapocsról történt szituációs lenyomatokat kiöntötték, a laboratóriumi szkennerrel digitalizálták (3Shape), és az adatokat a Digital Denture szoftverbe importálták. A szoftver SR IvoBase® CAD és SR Vivodent® CAD Multi kombinációjával - fogszínű korongokkal - lehetővé teszi digitális protézisek automatizált gyártását.

Ideiglenes protézis CAD-konstrukcióban

Az ideiglenes fogsor elkészítéséhez a még meglévő fogakat törölni kellett a virtuális modellről (3. ábra). Ehhez a szoftver megfelelő eszközöket biztosít. A modellanalízis közben a szoftver lépésről lépésre vezet minket. Az anatómiai jellemzőket megjelöljük és a fogsor kiterjesztésének paramétereit rögzítjük (4. ábra). Az állkapocsviszony meghatározása alapján a függőlegest 5,5 mm-rel megemeltük (5. a ábra). A Digital Denture Full Arch könyvtár segítségével megtörtént a megfelelő fogforma kiválasztása (Phonares® II B71-L50-N3)

(5. b ábra)

A szoftver automatikusan előállított egy fogfelállítási mintát (6. ábra). Szükség esetén ezt individualizálhatjuk. Az alapvető paraméterek (foghossz, középvonal, harapási sík stb.) ellenőrzése után a programban „finomhangolunk", kiigazítjuk az apró részleteket és végül virtuális finírozást hajtunk végre az alaplapon és az ínykontúrokon. Mindezek elvégzéséhez a szoftvernek van eszköztára, amivel például az anyagra felvihető még több, eltávolítható belőle, illetve simítható.

Ideiglenes protézis

CAD-előállítása

Miután elmentettük a CAD-konstrukciót, a szoftver CAM-kimenetet generál a fogív és protézisalaplap kimarásához. A fogív frézelése sűrű hálószerkezetű, polikromatikus, PMMA bázisú DCL-anyagból történik (SR Vivodent CAD-Multi) (7. ábra), melynek magas a biokompatibilitása. Az anyag különlegessége a gyöngyhatás (Pearl-Structure Effect), mely kiegyensúlyozott színátmenetet biztosít. Az A1 színre esett a választás. A korong multikromatikus színátmenetének köszönhetően – él, dentin, nyakszín – a monolitikusan frézelt fogak nem igényelnek túl sok utómunkálatot ahhoz, hogy természetes hatást keltsenek. A fogsor alaplap marásához különböző ínyszínű PMMA lapokat (IvoBase CAD) integráltak a Digital Denture munkafolyamatába. A színkoncepció az IvoBase anyaggal összehangolt (Preferenc,

27 VI. ÉVFOLYAM – 2023. 2. SZÁM
Pink, Pink V, 34V) (8. ábra). 2. ábra: A még meglévő fogak komoly károsodása. 3. ábra: A még meglévő fogak virtuális extrahálása. 4. ábra: Virtuális modellanalízis. 5. ábra: A harapási magasság megemelése 5,5 mm-rel és a fogforma kiválasztása a Digital Denture Full Arch könyvtár segítségével.
28 e-Journal CAD/CAM
6. ábra: Szoftver által automatikusan generált fogfelállítási javaslat. 7. ábra: SR Vivodent CAD-Multi rögzítése felirattal felfelé. 8. ábra: IvoBase CAD behelyezése az fogsoralaphoz. 9. a–c ábrák: Durván kifaragott fogívek és fogsoralaplap az első marási folyamat után. 11. ábra: Ideiglenes fogsor finommarás után. 10. a–b ábrák: Felső ideiglenes fogsor a fogak és a bázis illesztése után. Figyelemreméltó az incizális terület transzlucenciája.

KAVOSZ SZÉCHÉNYI LÍZING MAX+

• 5 % fix kamatozás

• 2,5 % szerződéskötési díj

• Önerő 30 %

A-dec 500

Prémium kategóriás alsó/felső karos kezelőegység

5 É V GARANCIA

2003 ÓTA FOLYAMATOSAN ELNYERTE A LEGJOBB KEZELŐEGYSÉG FŐDÍJAT

Csak az a gyártó ad 5 év garanciát a termékére, aki biztos a gyártmánya minőségében

DELUXE vezérlés, 8+4 LED páciens lámpa, NSK NLZ LED-es mikromotor www.a-dec.com/virtual-tour www.dent-east.hu

Az A-dec kezelőegységek szervizeléséhez a vételár mindössze átlagosan 1,97%-át teszi ki az évente vásárolt alkatrész. Ebben az A-dec páratlan.

A-dec 230

Felsőkaros kezelőegység, DELUXE vezérlés, 8+4 LED vagy 4 LED páciens lámpa, NSK NLZ LED-es mikromotor

A-dec 200

Kompakt alsókaros kezelőegység

DELUXE vezérlés, 8+4 LED vagy 4 LED páciens lámpa, NSK NLZ LED-es mikromotor

A-dec/NSK elektromos, nyomaték szabályozott LED-es, ENDO funkciós mikromotor, rpm 100-40000
ÚJ MEGKÖZELÍTÉS! Dr. Faluhelyi Péter egynapos ergonomiai tréningje – ajándék a gép mellé
Keressen bennünket! Telefon: 06 20 943 8109 • 06 20 929 0701 • 06 20 922 8508 E-mail: mail@dent-east.com
„Amit ma megvehetsz, ne halaszd holnapra”
Ügyintézést biztosítunk

Oversize-folyamat

A CAM gép (PrograMill PM7) első lépésben nagyjából (nyers fázis) marja ki a fogíveket. Míg a fogívek okkluzálisan túlméretezetten kidolgozottak, addig az alapokat egészen pontosan a protézis alapjának megfelelően marja a gép (9. ábra) A következő lépésben lehet a fogíveket a fogsoralaphoz igazítani. Ehhez egy kétkomponensű, önkötő ragasztó áll a rendelkezésünkre (IvoBase CAD Bond), hatékony ragasztást biztosítva (9. ábra). Az ezt követő finommarás és simítás megadja a fogív és fogsoralaplap végleges formáját (10. és 11. ábra)

Az ideiglenes fogsor befejezése

A digitálisan készrevitt fogsor kidolgozásának lépéseit a minimumra csökkentették. A fogsoralaplap vesztibuláris területeinek természetes morfológiája - a konvex és konkáv területek váltakozásával - bekerült a szoftverbe, és a gép 1:1-ben megvalósította. Kívánság szerint a fogak és az íny egyedi mikrotextúrát kaphatnak. Igény és szükség szerint a kis kopások például erősítik a fogsor természetes hatását. Az előpolírozás kézidarabbal történik, mielőtt a polírgépen habkővel, univerzáis polírpasztával és pamut boffkefével a fogsor megkapja végső fényét.

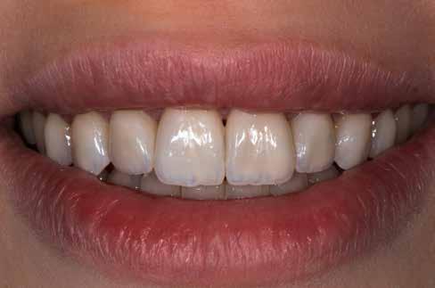
Az extrahálás és az új mosoly

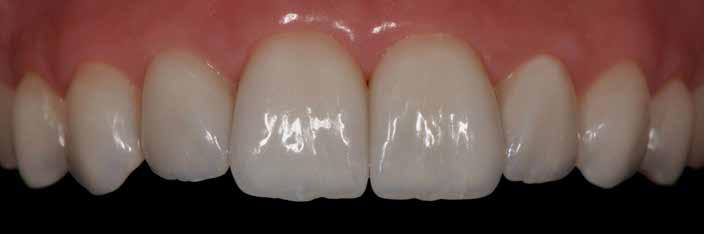
A fogak extrahálása és az alveoláris plasztika teljes narkózis mellett történt meg, így teremtve ideális helyzetet a protetikai ellátáshoz. A műtéti beavatkozás után a páciens az ideglenes fogsorral távozott. Egy héttel később jött kontrollra. Nemcsak látványra változott meg nagymértékben, hanem egyértelműen magabiztosabb és önbizalommal teli volt a fellépése (12. ábra)

Összegzés

Az elsődleges terápiás szakasz kulcsfontosságú volt a teljes rehabilitáció szempontjából. A páciensnek nem csak szép, esztétikus mosolyt kölcsönzött, hanem életminőségének javulását is hozta (13. ábra). A Digital Denture folyamatnak köszönhetően a kezelés ráfordításai is alacsonyak voltak. A fiatal nő messzemenően boldog, magabiztos és motivált a következő lépéshez.

30 e-Journal CAD/CAM
12. ábra: Páciensünk egy héttel fogainak extrahálása és az ideglenes fogsor azonnali behelyezése után. 13. a–d ábrák: Látványos átalakulás: kezelés előtt és után. A páciens maga hangsúlyozta ki életminőségének jelentős javulását.
Alpha Implant Kft. / 1016 Budapest, Mészáros utca 58., B épület, 4. emelet +36 1 353 9090 / info@alphaimplant.hu / www.alphaimplant.hu
MAGYARORSZÁGI FORGALMAZÓ A VILÁG PIACVEZETO˝ SZÖGKORREKCIÓS CADCAM MEGOLDÁSA MINDEN IMPLANTÁTUM RENDSZERHEZ
KIZÁRÓLAGOS

HARAPÁSEMELÉS DIGITÁLIS TECHNIKÁVAL

Az orális szkennerek, a digitális mosolytervezés és a CAD/CAM technológia együttes alkalmazása

Bevezetés

Az orális szkennerek és a szoftveres háttér utóbbi években bekövetkezett fejlődésének köszönhetően egyre több fogászati munkafolyamat területén figyelhetjük meg a digitalizáció térnyerését. Ennek a fejlődésnek köszönhetően jelentős mértékben javult a fogorvos-fogtechnikus közötti kommunikáció hatékonysága. A digitális mosolytervezés (Digital Smile Design, DSD) egy olyan virtuális eszköz, amely segítségével megtervezhetjük az arc szimmetrikus és esztétikus megjelenése helyreállításának a menetét. Ez a módszer nem csak a különböző szakterületek képviselői közti kommunikációt javítja,

hanem lehetővé teszi, hogy összességében lényegesen jobb végeredményt érjünk el a rehabilitáció során. A mosolytervezés dokumentációja fontos lépés, akár a 2D-s, akár a 3D-s tervezésről van szó, valamint ennek jelentős szerepe van a rehabilitáció kimenetelének szempontjából is. Ezt a folyamatot akár teljesen digitális módszerekkel is el lehet végezni. A mozgóképpel történő dokumentáció előnye abban rejlik, hogy így sokkal egyszerűbbé válik a kiindulási állapot dokumentációja, a mosolytervezés, az arc szimmetriájának kiértékelése, a kezelési terv elkészítése, továbbá hatékonyabbá lehet tenni a fogorvosi team-en belüli kommunikációt és a páciens bekapcsolását a folyamatba.

A digitális mosolytervezés eredményét át lehet alakítani hagyományos vagy virtuális modellé, ami egyszerűbbé teszi az eltervezett kezelések végrehajtását, például egy CAD/CAM technológiával készült pótlás elkészítését. Az adhezív rendszerek és a fényáteresztő anyagok együttes használata lehetővé teszi a minimál invazív preparációs technika alkalmazását. A lithium-diszilikáthoz hasonló anyagok esztétikai tulajdonságai a saját fogakhoz hasonló megjelenést kölcsönöznek a restaurátumoknak, ami jelentős mértékben hozzájárul az esztétikus végeredményhez.

Az orális szkennerek fontos részét jelentik a digitális munkafolyamatoknak Ezek az innovatív eszközök lehetővé teszik, hogy a lenyomatok minőségét közvetlenül ellenőrizhessük, valamint, hogy az így elkészített „mintát” egy e-mail segítségével egyszerűen, gyorsan és költség -

32 e-Journal CAD/CAM
Dr. Miguel Stanley, dr. Ana Gomes Paz, dr. Inês Miguel (Portugália) Dr. Christian Coachman (Brazília) 1. ábra: Kiindulási állapot (frontális irányból). 2. ábra: A kiindulási állapotról okkluzális irányból készített felvétel (felső állcsont). 3. ábra: A kiindulási állapotról okkluzális irányból készített felvétel (alsó állcsont). 4. ábra: A kiindulási állapotról készült panorámaröntgen felvétel (2015).

hatékonyan továbbítsuk a fogtechnikai laboratóriumba. Fontos azonban megjegyezni, hogy jelenleg nem áll rendelkezésre elegendő szakirodalmi adat, amely megerősíti, hogy az orális szkennerek segítségével lehetséges a rendkívül pontos és részletgazdag lenyomatok készítése. A CAD szoftver elengedhetetlen része a digitális fogászatnak. Ezeknek a programoknak a segítségével alakítjuk ki a virtuális térben azokat a restaurátumokat, amelyeket később teljesen automatizált gépek készítenek el a valóságban.

Ebben a cikkben egy olyan esetet ismertetünk, ahol a kezelés során alkalmazott munkafolyamatokat digitálisan végeztük el. Minimál-invazív preparációt követően – digitális mosolytervezés alapján – lithium-diszilikát tömbökből monolitikus héjakat és koronákat készítettünk CAD/CAM technológia felhasználásának segítségével. Az elkészült restaurátumok segítségével helyreállítottuk az elvesztett harapási magasságot, valamint megszüntettük az ebből adódó esztétikai hátrányokat és az emiatt kialakult temporomandibuláris ízületi diszfunkciót.

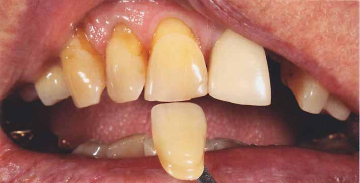
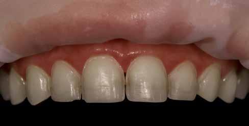
Esetbemutatás

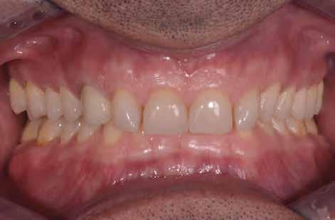
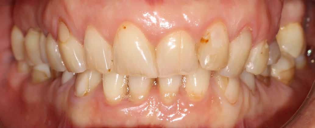
2015-ben egy 47 éves férfi páciens állkapocs-ízületi panaszai miatt kereste fel a rendelőnket. Ezen felül esztétikai problémát jelentett számára, hogy az egyik felső nagymetszőfogán lévő héj eltört (1-3. ábrák). A klinikai és radiológiai vizsgálatot követően megállapítható volt, hogy a páciens kifejezett bruxizmusa miatt csökkent a harapási magassága, és jelentős mennyiségű saját foganyagot abradált el (4. ábra)

Szájterpesz használata mellett digitálisan intraorális fotók készültek a páciensről mind frontális, mind laterális és okkluzális irányokból. További fotók is készültek a páciensről egy digitális tükörreflexes kamera segítségével (frontális és laterális irányból, valamint 45 o-os szögből). Mindkét állcsontról digitális lenyomat készült egy intraorális szkenner segítségével (Care stream 3500). A maximális-interkuszpidációs helyzetet (IKP) szintén a Carestream 3500-as készülék felhasználásával rögzítet -

5. ábra: A mosolytervezéshez szükséges felvétel. A mosolygó páciensről az ajak- és a bucca eltartásával készített fotó.

6. ábra: Demonstrációs céllal bisz-akrilátból készített mock-up (Structur 3).

tük. Az új harapási magasságot a CAD/CAM szoftverben létrehozott virtuális artikulátor általunk meghatározott mértékig történő nyitásával határoztuk meg.

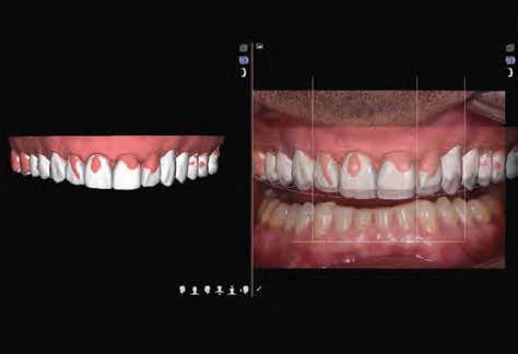
A kiindulási helyzet rögzítésére a DSD dinamikus dokumentáció protokollját használtuk. Egy okostelefon segítségével 4 különböző szögből videókat készítettünk, hogy később ezek alapján ki tudjuk alakítani a páciens legoptimálisabb mosolyát. A következő felvételek készültek: frontális irányú a mosolygó páciensről az ajkak és az orca eltartásával, majd az eltartásuk nélkül, továbbá oldalirányú felvétel, egy a homloktól az állcsúcs irányába mutató, és egy az okklúziós síkra merőleges irányból készült, illetve egy záró harapási helyzetben lévő hátsó fogakról (tükör nélkül).

Négy kiegészítő felvétel készült az esztétikai, a funkcionális és az anatómiai kiértékeléshez: egy videó arról, ahogy a páciens leírja az általa elérni kívánt állapotot, egy 180 o-ban, beszéd közben készült felvétel, egy funkcionális elmozdulásokról készült intraorális videó, továbbá egy ajak és orca eltartása mellett készült intraorális felvétel a szájüregben található anatómiai struktúrákról (5. ábra) . Az így nyert adatokat továbbítottuk a DSD-t készítő laboratóriumnak. A DSD technika célja, hogy kombinálja a három különböző irányból készült felvételt (frontális, oldalirányú és fentről lefele mutató)

33 VI. ÉVFOLYAM – 2023. 2. SZÁM
8. ábra: Az őrlőfogak esetében nem volt szükség foganyag elvételre. Az alsó metszőfogak minimál invazív módon lettek előkészítve, a felső frontfogak esetében megőriztük az eredeti csiszolt csonkok formáját. 7. ábra: Két évvel később, a végleges helyreállítás megkezdése előtt készített felvétel (2017).

10. ábra: A végleges héjakat és koronákat Ceramill Mind tervező program segítségével digitálisan terveztük meg, majd frézgép segítségével (CeramillMotion 2, lithium-diszilikát tömbökből (VITABLOCS TriLuxe forte) faragtuk ki.

MULTY PLATFORM SYSTEM

rögzítettük a pillérfogakhoz (Futurabond U and Bifix QM).

egy digitális vonalzóval, annak érdekében, hogy meg lehessen határozni az optimális mosolyhoz szükséges arányokat a videófelvételek kiértékelése során (smileframe).

A mosolykeret (smileframe) elkészítéséhez a következő adatokat kell figyelembe venni: az arc szimmetriatengelyét, a digitális arcívet, a mosolyvonal helyzetét és lefutását, az esztétikus megjelenéshez szükséges szélesség meghatározásához az optimalizált foga -

FENNTARTHATÓSÁG

Folyamatosan törekszünk arra, hogy a munkafolyamatok, a gyakorlat, a termelési folyamatok esetében csökkentsük az ökölógiai lábnyomunkat.

zati arányokat és fogméreteket, a marginális gingiva lefutását, az ajakpír lefutását és az állkapocs alakját. Az így meghatározott kétdimenziós adatok és a CAD program segítségével létrehoztunk egy háromdimenziós virtuális modellt. Az így kapott 3D-s adatokat tartalmazó STL fájlt egy háromdimenziós nyomtatóra továbbítottuk, ami elkészítette a páciens új mosolyához szükséges mintát. Ezt arra használtuk, hogy a minta alapján készített szilikonsablon segítségével bisz-ak -

PRECIZITÁS

Német mérnökök és fogászati szakemberek kéz a kézben dolgoznak együtt, hogy tökéletes protetikai rendszert biztosítsunk.

CSAPATMUNKA

A teljes csapatmunka a háttérben, biztosítja a legkisebb részletre is odafigyelve, hogy minden tökéletesen működjön.

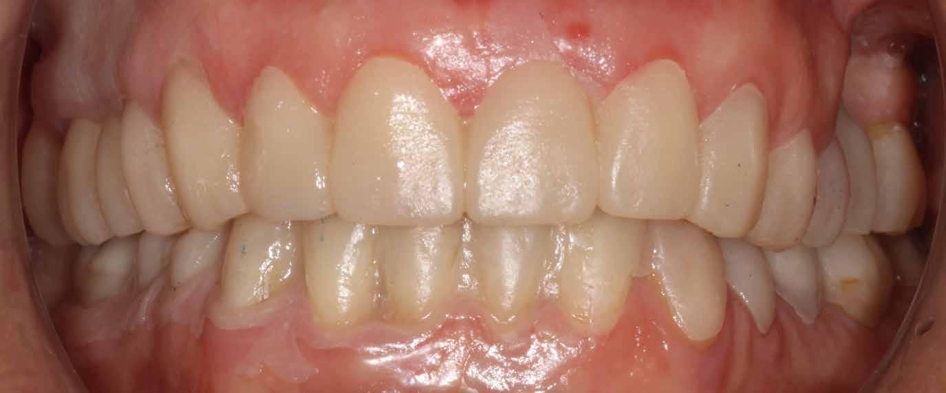
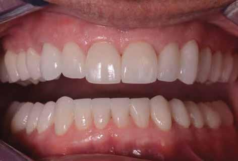
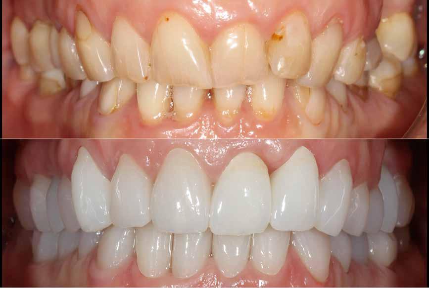
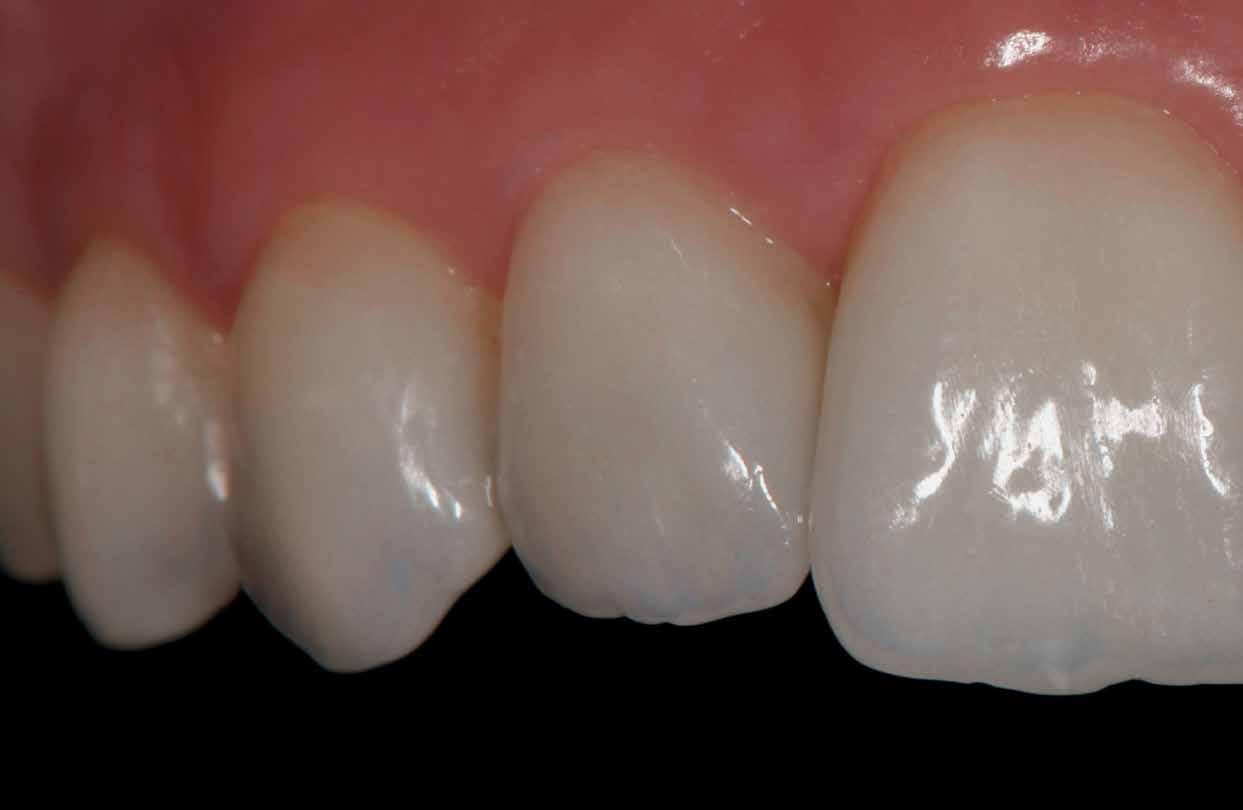
13-14. ábra: A végleges pótlások átadása után készült felvételek.

GYORSASÁG

Idő- és pénzmegtakarítás a fogtechnikusok, a fogorvos és a teljes páciens kezelés-folyamat számára.

34 e-Journal CAD/CAM
11-12.
2.1-2.3),
2.4-2.7, 3.7-3.1, 4.1-4.7)
9. ábra: Digitális mosolytervezés. ábrák: Az elkészült koronákat (1.3-1.1, valamint a héjakat (1.7-1.4, fényre kötő adhezív rendszerrel
SPM
Tökéletes protekiai elemek az összes jelentős implantációs rendszerhez

MULTY PLATFORM SYSTEMS

MPS Kiváló minőségű protekiai elemek minden ismert implantációs rendszerhez

PIACVEZETŐ

MÁRKAKOMPATIBILIS GYÁRTÓ

Az összes ismert implantátum rendszerrel kompatibilis.

MADE IN GERMANY Tradicionálisan magas minőség.

GYORSASÁG

Idő- és pénzmegtakarítás a fogtechnikusok és a fogorvosok számára.

PRECIZITÁS

Német mérnökök és fogászati szakemberek dolgoznak együtt, hogy tökéletes protetikai rendszert alkossanak.

rilátból(Structur 3, VOCO) elkészítsük a demonstrációs célokat szolgáló mock-upot (6. ábra)

A páciens harapási magassága az új minta alapján megemelésre került. A páciens két héten keresztül viselte az általunk elkészített mock-upot, hogy ki tudjuk értékelni a harapásemelés objektív és szubjektív hatásait. Ez alatt az idő alatt a páciensnek lehetősége volt eldönteni, hogy az új harapási magasság megfelel-e az ő elvárásainak. Az ideiglenes felépítés viselése során a páciens jónak ítélte meg az új okklúzióját, és elégedett volt a kapott eredménnyel. Ezért nem volt szükséges a habituális okklúziós helyzet további megváltoztatására és új centrális okklúziós helyzet kialakítására. A páciens megfelelőnek találta az újonnan kialakított harapási magasságát, továbbá nem érzett temporomandibuláris ízületi fájdalmat.

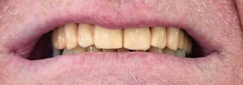
A kapott eredmények alapján elkészítettük a végleges kezelési tervet, de a páciens anyagi okok miatt nem kívánta a kezeléseket folytatni.

A páciens a megkezdett kezelések folytatása miatt 2017ben ismét felkereste a rendelőnket (7. ábra). Ekkor egy új intraorális lenyomatvétel történt (Carestream 3600).

A fogak preparálásához egy új mock-upot készítettünk háromdimenziós nyomtató segítségével (SolFlex, VOCO) bisz-akrilátból (Structur 3). A mock-up elkészítéséhez felhasznált sablont vákuum technológia segítségével hoztuk létre (V-Print ortho, VOCO). A mock-up felhelyezését követően a páciens fogait minimál invazív módon készítettük elő (8. ábra).

A már előzetesen preparált felső frontfogak csiszolt csonkjainak megtartottuk az eredeti formáját. Az alsó és felső őrlőfogak preparációja nem volt szükséges (1.7-1.4, 2.4-2.7, 3.7-3.4, 4.4-4.7), az alsó kismetsző fogakat minimál invazív módon készítettük elő. Az előkészítést követően új digitális lenyomat készült. Az így kapott digitális adatokat továbbítottuk a fogtechnikai laboratóriumba (9. ábra). A virtuális modellt ezek alapján hozták létre (AnatomicLab), és a minta elkészítéséhez szükséges STL fájlt továbbították egy háromdimenziós nyomtatóra (SolFlex 650, VOCO), amely segítségével elkészítették az új mintát (V-Print model, VOCO).

A végső restaurátumokat (héjakat és koronákat) Ce-

ramill Mind tervező program segítségével (AmannGirrbach) digitálisan megtervezték, majd frézgép segítségével (CeramillMotion 2, AmannGirrbach) li thium-diszilikát tömbökből (VITABLOCS TriLuxe forte for CeramillMotion 2, AmannGirrbach) kifaragták (10. ábra). Miután a fogpróba során ellenőrizték és megfelelőnek találták a pótlások széli záródásának a pontosságát, valamint az elkészült restaurátumok esztétikai megjelenését, ezután egy ajak- és szájterpesz került felhelyezésre (OptraGate, IvoclarVivadent).

A pillérfogakat és a kerámiából készült pótlásokat a gyártói utasításoknak megfelelően készítették elő. A fogpótlások belső felszínét először homokfújóval (50μm-es alumínium-oxid por) felérdesítették, majd 20 másodpercen keresztül 5%-os hidrofolysavval kondicionálták. Ezután 20 másodpercen keresztül vízzel lemosták, majd 37%-os orthofoszfor-savval (Total Etch, IvoclarVivadent) és 96%-os alkohollal megtisztították, majd végül egy réteg szilánnal fedték (Monobond Plus, IvoclarVivadent).

A koronákat (1.3-1.1 és 2.1-2.3) és a héjakat (1.7-1.4, 2.4–2.7, 3.7-3.1, 4.1–4.7) fényrekötő adhezív rendszerrel rögzítették a pillérfogakhoz (Futurabond U ésBifix QM, VOCO). A polimerizációhoz egy nagy teljesítményű LED polimerizációs lámpát használtak (Celalux 3, VOCO), (1112. ábrák).

A kifolyó ragasztóanyagot ezt követően eltávolították, majd az okklúziót a T-Scantechnológia (Tekscan) segítségével ellenőrizték, majd a szükséges mértékben korrigálták. A véglegesen rögzített kerámiapótlás védelme érdekében a páciensnek a továbbiakban egy kivehető, átlátszó műanyag fogvédő sínt kellett viselnie. A pótlásokat 6 hónap múlva ellenőrizték. Az át adott fogpótlások stabilan rögzültek, és nem találtunk sérülésekre, repedésekre utaló jeleket (13-15. ábrák). A páciens arról is beszámolt, hogy a harapás megemelése óta megszűntek az őt rendszeresen gyötrő fejfájásai.

Összegzés

A fogorvostudomány területén bekövetkezett fejlődés eredményeként lehetővé vált a teljesen digitális munkamenet. Ennek a segítségével olyan problémákat is megoldhatunk, mint a harapási magasság csökkenése miatt bekövetkezett funkcióvesztés. Azonban még további klinikai vizsgálatok szükségesek ahhoz, hogy egyértelműen ki tudjuk jelenteni, hogy a harapási magasság helyreállítása esetén alkalmazott digitális munkamenet hatékonysága megegyezik vagy meghaladja a hagyományos analóg munkamenetét. A későbbiekben még értékelni kell, hogy a digitális technikával készített végleges restaurátumok hosszú távon is megbízható módon viselik a folyamatos funkcionális terhelést.

Forrás: Cosmetic Dentistry; 2019: 1. 18-21

36 e-Journal CAD/CAM
15. ábra: A végleges pótlások átadása után készült panorámaröntgen felvétel.

Legyen Ön is a VIP Dental

CBCT és Röntgen Központ partnere!

Szeretne folyamatos, kiszámítható és tervezhető, passzív bevételre szert tenni?

Mit nyújtunk?

Közel 20 éves szakmai tapasztalatot a fogászat, mind a fül-orr-gégészet területén.

Legmodernebb, digitális rendszerű csúcstechnológiás gépekkel a legmagasabb minőségű tűéles felvételeket.

Páciensközpontú szemléletünknek köszönhetően gyors és precíz ügyintézést, az ország 4 frekventált helyén lévő centrumainkban. (4,8 google értékelés több, mint 1000 páciens visszajelzése alapján)

Negyedéves legális pénz visszafizetést a páciens forgalom után, vagy bónuszpontokat, amit beválthat bármilyen fogászati eszközre amire csak szüksége van!

Folyamatos CBCT képzéseket!

Orvoslátogatóink bármikor felkeresik Önt, amennyiben gondjuk lenne.

Mit jelent ez nekünk?

Örömünkre szolgál, hogy folyamatosan Önnel együtt fejlődhetünk és kamatoztathatjuk szakmai tudásunkat.

Amennyiben felkeltettük érdeklődésüket, és szeretnének partnerünkké válni, vagy már partnerünk, de nincs még szerződése, kérem keressen engem bizalommal az alábbi elérhetőségemen: iroda@vipdental.hu

Tisztelettel

Vékony Tibor ügyvezető
www.vipdental.hu info@vipdental.hu
Budán, Pesten, Székesfehérváron, Debrecenben
4,8-as átlag Tel: 0613361168

A manualitás, a hagyományos munkafolyamatok alapokra helyeződnek, a hangsúlyok arányok. Befejezni a munkát azonban

munkafolyamatok megmaradnak, csak más máshová kerülnek, megváltoznak az

azonban csak a fogtechnikus tudja.

Rimóczy Gábor

HAGYOMÁNY A DIGITÁLIS FEJLŐDÉS

ÁRNYÉKÁBAN – A CAD/CAM TECHNOLÓGIA ANALÓG SZEREPLŐI

Az már egyértelművé vált, hogy a fogászati CAD/CAM, a folyamatos, gyors fejlődésének köszönhetően évről évre nagyobb részt fed le a kézműves, manuális fogtechnikai munkafolyamatok területén. A 3D nyomtatás fejlesztése, a szoftveres alkalmazások bővítése ma már lehetővé teszi digitálisan készített kivehető pótlások készítését. Teljes alsó-felső protézis vagy éppen fémlemez már kivitelezhető CAD/CAM technológiával. A fémlemezes részleges kivehető megoldások teljes digitális megoldásai még váratnak magukra, de ne legyenek illúzióink (1. kép).

Akadnak azonban olyan munkafolyamatok, technológiák, amelyek megmaradtak a hagyományos analóg vonalon, mégis alkalmazkodtak a jelenlegi trendekhez, lekövetik a CAD/CAM előidézte anyagokkal és minőséggel szemben támasztott elvárásokat. A digitális munkavégzés gyártási oldalán modern, új, speciális alap- és segédanyagok jelentek meg. Ahhoz, hogy a CAD/CAM technológiával készült alapokon, vázakon, anatómikus formákon egyedileg tudjuk befejezni az adott restauráció elkészítését, az ismert kézműves munkafolyamatokhoz új fejlesztésű anyagokra van szükség, melyek kompatibilisek a digitális technológia anyagaival.

A kerámia leplezés az 1960-as években jelent meg, bár magát a porcelánt mint fogászati alapanyagot már a ’30-as évektől használták a fogászok. A leplező fémkerámiákhoz szorosan kapcsolódott az önthető Nikkel, illetve később Kobalt-Króm bázisú ötvözetek fejlesztése. A fémvázak anyagait öntéstechnológiára optimalizálták, a receptúrák megalkotása, az ötvözőelemek kiválasztása, arányaik meghatározása mind azt szolgálta, hogy bármikor ismételhető, azonos minőségben minél pontosabb és stabilabb öntési eredményt érjünk el a fogtechnikai laborban. A Kobalt és a Molibdén fokozta a stabilitást, a Szilícium összetevő kiváló öntési tulajdonságokat és megbízható öntéspont meghatározást biztosított,

míg a minimális Cerium tartalom fokozta az oxidképződést, elősegítette a leplezőkerámiával kialakítandó kötést (2. kép). A CAD/CAM térhódításával a leplezendő fémvázak új elkészítési formái jelentek meg. A Kobalt-Króm tömbből történő marással és az additív lézerszinter eljárással készülő fémvázak esetében azonban az alapanyag eltérő a korábban megszokott önthető „fémkockáktól”. A CNC megmunkálásra fejlesztett fémtömbök marására lett optimalizálva. A napjainkban egyre inkább elterjedt „fémnyomtatás” során fémport használunk, amelynek anyagszerkezete, ötvözőelemeinek összeállítása, receptúrája a gyártási technológiához igazodik, azaz alkalmas a nagyon magas hőfokon történő lézeres olvasztásos megmunkálásra. Ha 25-35 gramm ilyen fémport beleszórunk egy öntőtégelybe, majd megöntünk belőle egy körhidat, nem várható, hogy pontos és jó eredmény születik, ha egyáltalán sikeres lesz az öntés (3. kép)

A lézerszinter vázak esetében a gyártási eljárás során azonban az ötvözet Volfrám (W) tartalma befolyásolhatja, elvi-

40 e-Journal CAD/CAM
1. kép: Fogtechnika anno. 2. kép: Koronák, hidak a platformon lézerolvasztásos gyártást követően 3. kép: Kész lézerolvasztással készült körhídváz

heti a hőtágulási együttható értékét, mégpedig úgy, hogy az eddig öntéstechnikával készült struktúrákkal kompatibilis leplezőkerámia nem működik együtt tökéletesen a fémvázzal. Emellett a szinter eljárással készült fémvázak oxidrétege jóval agresszívebb, mint öntéssel készült testvéreié. Ezek a megszokott fémvázakétól eltérő tulajdonságok a leplezőkerámia oldalán is változtatásokat indukáltak. A VITA fémkerámia technológiájának alapesetben nem része a bond használata. Ha pontosak akarunk lenni, akkor megfelelő tapadás elérését a Wash Opaker használata teszi biztosabbá, ez az anyag működik egyfajta bondként a munkafolyamatban.

A lézerszinter technológia érkezése azonban egy nagyon magas minőségű bond igényét vetette fel. A VITA lépése a problémára az NP Bond kifejlesztése volt. A VITA NP Bond pasztája tökéletes kötést biztosít a fémváz és az opaker réteg között az összes fémkerámia pótlás esetében. Kiválóan kompenzálja a lézerszinter, illetve SLM technológiával készült pótlásoknál előforduló esetleges hőtágulási együttható módosulást, kiegyenlíti a vázanyag és a leplezőanyag közti WAK érték különbséget. Meleg, halványsárgás, aranyszínbe hajló árnyalata kiváló alapot teremt a későbbi opaker és leplezés rétegekhez és magas fokú védelmet nyújt a kerámia számára az égetések során keletkező fémoxidoktól. A szintereljárással készült vázak esetében az égetések között érdemes homokfúvóval oxid-mentesíteni a koronák belsejét, és világos színek esetében a megszokottól eltérően plusz egy opaker égetést végezni.

Fémvázak készítésével kapcsolatban feltétlenül szükséges megemlíteni a 3D nyomtatással készült mintázatok öntését. (4. kép). Ez a hibrid technológia nagyon közkedvelt. Stabil, különösen sima felületű, pontos, szép vékony, egyenletes vastagságú, egyértelmű koronaszélekkel rendelkező, jól önthető mintázatokat önthetünk meg beágyazást és kitüzelést követően – feltéve, ha van hozzá beágyazó anyagunk!

A 3D nyomtatók maradványmentesen kiégethető anyagai ugyanis fényre keményedő műgyanták. A kitüzelés során hasonlóan viselkednek, mint az ismert mintázó műanyagok: 200 °C környékén megtágulnak és a térfogat-növekedés hatására megrepesztik a beágyazást. Ezt korábban a mintázat felületének leviaszolásával oldottuk meg, a viasz gyorsan kiolvadt és így volt helye megtágulni a műanyag részeknek.

A 3D nyomtatással készült vázak digitálisan lettek tervezve,

egyenletesek, homogének, szép felületük van, pont ezeket az előnyöket veszítenénk el egy gyors, elnagyolt átviaszolással, és ez megnövelné a kidolgozási időt is. Fémlemez mintázatok esetében pedig egyáltalán nem életszerű megoldás.

Az öntéstechnika területén professzionális fejlesztőnek számító BEGO új beágyazó anyagok megalkotásával kínál megoldást. Alkalmazkodva a 21. századi fogtechnikai elvárásokhoz, csakis gyorskitüzelésű beágyazó jöhetett szóba. A BEGO VarseoVest P plus fémlemez készítéshez, a BEGO VarseoVest C&B koronák és hidak beágyazásához használható. Az öszszetételükből adódóan kiemelkedő a stabilitásuk, az egyedi expanziós értékeik lekövetik és tolerálják a műgyanta tágulását, az újfajta beágyazó folyadék koncentrációjának változtatásával pedig lehetőség van a hőtágulásuk finomhangolására. A 3D-s mintázatokat csapozást követően felületi viaszolás nélkül ágyazhatjuk be a BEGO legújabb beágyazó anyagaival, melyek közül a VarseoVest C&B préskerámia készítéshez is kiválóan használható (5. kép).

A fémvázak új típusú előállítása mellett a fémmentes anyagok is folyamatos fejlődésen mennek keresztül. Korábban csak vázanyagként használt cirkon napjainkban már teljes anatómikus pótlás készítésére is alkalmas. Fokozták a fényáteresztő tulajdonságokat, felhasználási területtől függően a gyártók újabb és újabb csoportokat hoztak létre cirkónium tömb palettájukon belül. Bár ezek az anyagok transzlucenciájuk kapcsán közelítenek a leplező és fémmentes pótlásként használt kerámiákhoz, fluoresszenciájuk jóval csekélyebb mértékű, így a természetes fénynél élettelenebbek (6. kép). Cutback technológia alkalmazása mellett leplezőkerámiával egyediesíthetjük a pótlásokat, emellett festéssel, színezéssel érhetjük el a végleges esztétikájú, színazonos végeredményt.

A teljes anatómikus cirkonpótlások szinterezés utáni külső festéséhez, a megfelelő fluoresszencia megvalósításához speciális színezőkre, az egyediesítéshez egyszerűen használható stabil, könnyen, átmenet mentesen rakható mikrokerámiára van szükség.

Követve a modern anyagok fejlődését és a technológiai igényeket a VITA bemutatta az Akzent Plus színező rendszert, amely a korábbi Akzent festékekhez képest színmódosító szortimentet (Chroma Stains), illetve alapszín árnyalat egységet (Body Stains) is tartalmaz. A festékek kevésbé intenzí-

41 VI. ÉVFOLYAM – 2023. 2. SZÁM
4. kép: 3D nyomtatott fémlemez mintázat. 5. kép: 3D nyomtatással készült körhíd mintázat különleges csapozási technikával.

vek, így precízebben ki lehet alakítani az egyedi árnyalatokat, a színezők mélyre hatolnak a felületbe, ezért jóval tartósabbak, hosszú távon sem kopnak le, és fluoresszenciájuk kiemelkedő. Az Akzent Plus színező család bármely kerámia típus esetében kiválóan alkalmazható, de a gyártói törekvés fő vonala egy olyan festőkészlet kifejlesztése volt, amely tökéletes a CAD/CAM technológiával készült teljes anatómikus fémmentes végleges pótlások festésére, színezésére (9. kép). A festés és színezés anyagainak fejlesztése mellett a VITA egy vadonatúj kerámiával is jelentkezett. A VITA LUMEX AC leplezőanyag megalkotását a digitális technológiával készíthető sokszínű anyag paletta, és a bővülő felhasználási terület ihlette (7. kép). Egy olyan leplezőkerámia iránti igény

lépett fel, amely alkalmas komplett leplezések készítése mellett dentinmag koronákat, cutback technikával előkészített fél-anatómikus formákat egyediesíteni, individualizálni. Fontos volt továbbá, hogy univerzális legyen: rengeteg fajta anyag esetén használni lehessen, hogy a labornak ne kelljen számtalan különböző kerámiát készleten tartani a különböző váztípusok, és a különböző fémmentes anyagok mindegyikéhez. A VITA LUMEX AC alkalmas cirkonvázak, préskerámia vázak leplezésére, teljes anatómikus cirkonpótlások egyediesítésére, kerámia blokkból készült pótlások véglegesítésére, használható a Lítium-diszilikát struktúrákon, az IPS e. max anyaghoz kiváló, és nagyszerűen alkalmazható Ti vázak esetében is (8.

42 e-Journal CAD/CAM
kép). 6. kép: Kerámia színezés 7. kép: VITA LUMEC AC leplező kerámia 8. kép: Stabilitás, könnyű felrakás – VITA LUMEX AC leplező kerámia 9. kép: Egyediesítés a pontos színazonosságért 10. kép: CeraPro – mikromotorral használható cirkon kidolgozó család
Róth
Fogpótlás.tan update KÖNYVAJÁNLÓ 6 fejezet 49 szakmai cikk 388 oldal 1980 színes kép Megrendelhető a www.dental.hu weboldalon vagy az info@dental.hu e-mail címen A könyv ára: 12 500 Ft DP Hungary Kft. 1012 Budapest, Kuny Domokos u. 9., tel.: 06-30-472-0030
Lajos

Az új CAD/CAM anyagok a kidolgozó eszközök esetében is komoly fejlesztéseket eredményeztek. A hagyományos keményfém frézerek, csiszolókövek, gyémánt kidolgozók és polírozók mellé megérkeztek a szinterezett cirkonvázakhoz, teljes anatómikus fémmentes pótlásokhoz használható speciális gyémántok, illetve gyémánt töltetű kidolgozó gumik, kövek. A kész cirkonok kidolgozását vízhűtéses turbinával és gyémántokkal javasolt végezni. Az anyag túlzott átmelegedése mikro-repedéseket eredményezhet az anyagszerkezetben, ilyenkor feszültség keletkezik. Ezekben az esetekben, ha az égetést követően azonnal nem is, de másnap reggelre már várhatóan lekéredzkedik róla a kerámia leplezés. A vízhűtésre főképp ezért van szükség. Az Edenta azonban olyan cirkonhoz használható kidolgozókat alkotott meg, melyek alkalmasak fogtechnikai mikromotorban történő használatra. A gyémánt szemcséket speciális kötőanyaggal kombinálták, mely az előírt nyomatékkal és forgási sebességgel történő használat során elvonja a hőt a kidolgozandó felülettől, a cirkon nem melegszik

át, és nem keletkeznek repedések. A korábbi fejlesztésű CeraPro kidolgozó család hagyományos cirkonvázakhoz, az újabb CeraTec a 900 MPa-t meghaladó szilárdságú konstrukciókhoz ajánlott, sőt, akad olyan típus is, ami kifejezetten csak fémmentes pótlások koronaszéleinek elsimítására szolgál (10. kép).

Ha valaki nagy mennyiségeket szeretne gyorsan „ledarálni”, akkor a SuperMax formáiból választhat (11. kép). Emellett természetesen megjelentek olyan szeparálók, magasfényt biztosító speciális polírozók, amelyekkel a blokkokból készült teljes anatómikus kerámia, hibrid kerámia, vagy hibrid kompozit fogpótlások befejező munkafázisait elvégezhetjük. (12. kép).

A hagyományaikról ismert családi vállalkozáson alapuló cégek, mint a BEGO és a VITA lépést tartanak a fogászat rohamos digitális fejlődésével. Mindkét vállalkozás rendelkezik CAD/CAM technológiát kiszolgáló portfólióval: a BEGO Európa egyik legnagyobb gyártóközpontját üzemelteti, emellett fogászati 3D nyomtatáshoz gyárt készüléket és alapanyagokat; a VITA úttörője a különböző kerámia, és hibrid kerámia blokk-gyártásnak (13. kép).

Mindezek mellett azonban reagáltak az új CAD/CAM anyagok által támasztott technológiai igényekre, olyan anyagokat fejlesztettek, amelyekkel nélkülözhetetlen kiegészíteni a modern kori munkavégzést, ugyanakkor követik a tradicionális kézműves szakmai vonalat.

A digitális technológia sok helyen egyszerűsíti, felgyorsítja és megkönnyíti a fogtechnikai munkavégzést (14. kép) Azonban nem helyettesíti teljes mértékben. A manualitás, a hagyományos munkafolyamatok megmaradnak, csak más alapokra helyeződnek, a hangsúlyok máshová kerülnek, megváltoznak az arányok. Befejezni a munkát azonban csak a fogtechnikus tudja.

44 e-Journal CAD/CAM
11. kép: SuperMax gyémántszemcsés kidolgozók. 12. kép: Vizes csiszolással készülő Lítium-diszilikát korona 13. kép: 3D nyomtatással készült ideiglenes pótlás: BEGO VarseoSmile Temp 14. kép: Az új BEGO VarseoSmile Crown – 3D nyomtatással készült végleges pótlások nyers állapotban.

a 3D fémnyomtatásban

• 250 W lézer

• 40µm – 250 µm spot

• Munkaterület mérete: Ø 110 mm – 200 mm

• CAM Software 2Build

• Alkalmas reaktív és nem reaktív anyagokhoz

17-4PH, titánium, aluminium, bronz, CoCr

• 2 napos betanítás és beüzemelés

• Starter Kit

• Védöfelszerelések, tartozékok

• 5 kg CoCr por

• Azonnal használható!

CREATE

Részletes árajánlattal és mûszaki tanácsadással kapcsolatban állunk szíves rendelkezésére személyesen, telefonon vagy e-mailben.

Bevezetô ár: nettó 125 000 euró

Made in Germany

megoldás
Optimális

Róth Lajos, Fehér Dóra, Keskeny György Árpád, Fojtyik Ildikó,

Borbély Judit

EGYEDI FOGSZÍNKULCSOK A CAD/CAM FOGPÓTLÁSOK

SZÍNÉNEK MEGHATÁROZÁSÁHOZ

Egy jól sikerült fogpótlás elengedhetetlen feltétele a jó fogszín. Mind a mai napig az egyik legnehezebb feladat a fogászatban a természetes fogakhoz színében is tökéletesen illeszkedő fogpótlás készítése.

Stephen Bergen, az NYU College of Dentistry professzora már 1977-ben is úgy fogalmazott: „A fogpótlás fizikai sikerének szempontjából mindegy a szín, a páciens elégedettségének azonban meghatározó tényezője”. A fogpótlással csak akkor elégedett a páciens, ha annak jó a színe is.

De mit jelent a fogpótlások készítése során a „jó fogszín”? A természetes fogakkal színében és transzparenciájában is harmonizáló fogpótlást. A jó fogszínhez a fogorvosnak a fogszínt helyesen kell meghatároznia, az információt a fogtechnikai laboratóriumba el kell juttatnia és ott a fogtechnikusnak a természetes fog színét reprodukálnia kell. Minden fogorvos rémálma, amikor a fogpótlást vissza kell küldeni a fogszín korrekciója miatt. A mindennapos gyakorlat az, hogy ilyenkor további fotókat készítünk és küldünk vagy a páciens személyesen megy el a fogtechnikai laboratóriumba, a fogtechnikus is megnézi a páciens fogszínét és javítani próbálja a fogszín-meghatározás elégtelenségéből adódó problémákat. A bizonytalan eredmény rendkívül költséges, a színkorrekció extra székidőt igényel, számos esetben egyszerű festéssel nem is megoldható, hanem a fogpótlás újra készítése szükséges. Az új típusú vírusfertőzések megjelenése fokozottan felhívja a figyelmet arra, hogy a páciens-fogorvos találkozások számát a lehetséges legminimálisabbra kell csökkenteni, ugyanakkor ajánlott elkerülni a páciens-fogtechnikus személyes találkozásokat.

Jogosan merül fel a kérdés, hogy miért kihívás a fog színének meghatározása-reprodukálása még 2022-ben is? Röviden összefoglalva azért, mert a szabad szemmel végzett színmeghatározás szubjektív, az objektív mérések sem adnak önmagukban megbízható eredményt. A két módszer kombinációja szükséges. A fogszínkulcsos színmeghatározáshoz korszerű fogszínkulcsok is szükségesek. A piacon sorra megjelenő új CAD/CAM anyagok színe és transzparenciája teljesen eltér a hagyományosan használt anyagaink optikai tulajdonságaitól. A fogszínkulcs anyagának azonosnak kell lennie a fogpótlás anyagával. A fogszínkulcs segítségével megadott alapszínen kívül az egyedi jellegzetességekről is információt kell küldeni a laboratóriumnak, amire a digitális fotók a legalkalmasabbak. Ezen rövid összefoglalás hosszából is látszik, milyen sok tényező befolyásolhatja a színmeghatározást és reprodukciót.

Fogszín-meghatározási protokoll egyedi fogszínkulcsokkal

Jelen cikk célja olyan megbízható fogszín-meghatározási protokoll bemutatása, amely a vizuális és digitális eszközöket és eljárásokat ötvözi és CAD/CAM technológiával gyártott egyedi fogszínkulcs segítségével a fogszín-meghatározást kiszámíthatóvá teszi:

I. A vizuális fogszín-meghatározást objektív mérési eredménnyel kiegészítve megbízhatóan lehet a megfelelő alapszínt kiválasztani, azaz a megfelelő fogszínkulcs kiválasztásához kombinálnunk kell a szabad szemmel végzett összehasonlítást (megvilágítás pl. Smile Lite lámpa) a digitális színmeghatározással (pl. Easyshade ).

II. A fogszínkulcsnak anyagában összhangban kell lennie a készítendő fogpótlás anyagával, ezért van szükség egyedileg mart fogszínkulcsokra (1. ábra).

III. Az egyedi jellegzetességek reprodukciójához a természetes fogról és a mellé helyezett fogszínkulcsról a fogtechnikai laboratóriumnak digitális fotót kell küldeni, a fogorvos-fogtechnikus kommunikáció leghatékonyabb eszközei a fogszínkulcsos referenciafotók

46 e-Journal CAD/CAM
1. ábra: A fogszínkulcsnak anyagában összhangban kell lennie a készítendő fogpótlás anyagával, a fogtechnikai laboratóriumban egyedileg kimart fogszínkulcsok ebben nyújtanak segítséget.

Vizuális fogszín-meghatározás:

A vizuális fogszín-meghatározás szabad szemmel összehasonlítva választjuk ki a páciens fogaival azonos fogszínkulcsot. A megvilágítás és a környezet kulcsfontosságú a fogszín meghatározása során. Ha a rendelőben és a laborban természetes fényben választunk fogszínt, a legalkalmasabbak a fényviszonyok délelőtt 10 óra és délután 2 között. Megfelelő színkorrigált lámpákkal a rendelőben a standard nappali fényviszonyokat reprodukálni tudjuk (pl. Smile Lite lamp). A szájüreg a fogszín-meghatározás közvetlen háttere, a közvetlen környezetre is figyelni kell. A nyálkendő legyen világosszürke, a páciens ne viseljen rúzst, a rendelő és a laboratórium fogszín-meghatározáshoz használt részének falát érdemes világos, neutrális szürkére festeni, különösen akkor, ha a színválasztáshoz mennyezeti lámpák adják a fényt. A páciens fogait meg kell tisztítani a plakktól, elszíneződésektől. A legjobb az, ha a fogorvos rögtön a páciens érkezését követően meghatározza a fogszínt. A gyors kezdéssel egyrészt a szem fáradását előzhetjük meg, illetve a páciens fogainak kiszáradásából adódó színváltozás befolyásoló hatást is kivédhetjük.

Digitális fogszín-meghatározás

A fogszínkulcsos vizuális színmeghatározás (emberi szemmel végzett összehasonlító színvizsgálat) szubjektív, a körülmények és az alkalmazott módszer is nehezen kontrollálható, ezért van szükség a módszer digitális kiegészítésére színmérő műszerekkel. A színmérés a színek meghatározásának objektív módszere. A spektrofotométerek a leggyakrabban és legjobb eredményekkel alkalmazott színmeghatározó mérőműszerek. A Vita Easyshade (Vita Zahnfabrik, Bad Säckingen, Németország) vezeték nélküli, hordozható, akkumulátorral működő, pontszerűen mérő spektrofotométer, kifejezetten a mindennapos fogorvosi gyakorlathoz lett kifejlesztve, a bonyolult mérési eredményeke könnyen értelmezhető fogszínkulcs értékekre fordítja le. A spektrofotométer a minőség ellenőrzéséhez, a rendelőben vagy a laboratóriumban a fogpótlás színének visszaméréséhez is felhasználható.

Laborkommunikáció

A fogszín meghatározása mellett a fogorvos további feladata a színinformációk laboratóriumba juttatása. A digitális fényképezőgéppel készített referenciafotók, amelyek segítségével a fogszínkulcs és természetes fog színének egyezőségét, illetve a természetes fog karakterisztikáját meghatározó egyedi jellegzetességeket a fogtechnikus a páciens jelenléte nélkül tudja vizualizálni, elengedhetetlen a sikerhez. A referenciafotók készítése során fontos, hogy a fogszínkulcsot a keresett foggal azonos síkban, és azonos szögben tartsuk.

Fogszínkulcsok

A fogászatban gold standardként használt Vita Classical A1-D4 fogszínkulcs 1956 óta van a piacon. Szinte alig van a fogászatban olyan eszköz, amelyet 1956 óta ne váltott volna le egy korszerűbb társa. Fogszínkulcsokból is természetesen megjelentek korszerű színelméleteken alapuló fogszínkulcsok (Vita 3D Master Toothguide, Vita 3D Master Linearguide), mégis mind a mai napig a legelterjedtebb VITA A1D4-es fogszínkulcs és annak mintájára a különböző gyártó

cégek által forgalomba hozott, szintén A1-D4 elrendezésű kulcsok. Azt régóta tudjuk, hogy célszerű olyan anyagból készült fogszínkulcsot használni, mint a fogpótlás anyaga, mert a különböző anyagok optikai tulajdonságai eltérőek. Léteznek kerámia, fogsor fog, kompozit rezin kulcsok. A kerámia gyártó cégek gyakran saját leplező kerámiájukból leégetett kulcsokat adnak. A rendelőben egyedileg készített fogszínkulcsok is ismeretesek a fogászatban. Számos cég árul a fogtömések készítéséhez használt tömőanyagokhoz olyan készletet, amely segítségével az adott kompozitanyagból a fogorvos maga készítheti el fogszínkulcsát, a tömőanyagot a szék mellett polimerizálva. Jogos igény, hogy a CAD/CAM fogpótlások színének meghatározásához a CAD/CAM tömbből kimart fogszínkulcskészletek is rendelkezésünkre álljanak (2 .ábra).

2. ábra: Cirkónium-dioxid és üvegkerámia tömbökből mart egyedi fogszínkulcsok. A felső sorban a hagyományos Vita Classic fogszínkulcsok, az alsó sorban az azonos jelölésű tömbből kimart egyedi fogszínkulcsok láthatóak normál és polárszűrős fotókon (polar_eyes, eLab).

2.

Lítium-diszilikát (IPS e.max® HT, Ivoclar Vivadent) egyedi fogszínkulcsok.

2. b ábra: Multilayered cirkónium-dioxid (Zolid Gen-X HT, Amann Girrbach) egyedi fogszínkulcsok.

2. c: Lítium-aluminoszilikáttal erősített lítium-diszilikát (Nice HT, Straumann) egyedi fogszínkulcsok.

2. d: Cirkónium-dioxiddal erősített lítium-szilikát (Vita Suprintiy® T PC, Vita Zahnfabrik) egyedi fogszínkulcsok.

47 VI. ÉVFOLYAM – 2023. 2. SZÁM
a ábra:

2. e: Cirkónium-dioxid (IPS e.max® ZirCAD LT, Ivoclar Vivadent) egyedi fogszínkulcsok.

Egyedi fogszínkulcsok gyártása

Aki dolgozott már monolitikus fogpótlással, készüljön a cirkónium-dioxid vagy üvegkerámia blokkból, jól ismeri azt a problémát, hogy a fogpótlások színe köszönőviszonyban sincs a hagyományos fogszínkulcsokkal. A 3. ábra jól szemlélteti az azonos színkódú (A1-es jelölésű), különböző anyagú blokkokból (üvegkerámia és cirkónium-dioxid) kimart fogpótlások eltérő színét.

1. Felhasznált CAD/CAM anyagok Szerzők a fogszínkulcskészlet elkészítéséhez a mindennapos munkafolyamataik során rendszeresen használt 5 anyagot: két cirkónium-dioxid és 3 üvegkerámia anyagot használtak.

1. cirkónium-dioxid (IPS e.max® ZirCAD LT, Ivoclar Vivadent).

2. multilayered cirkónium-dioxid (Zolid Gen-X HT, Amann Girrbach)

3. cirkónium-dioxiddal erősített lítium-szilikát (Vita Suprintiy® T PC, Vita Zahnfabrik)

4. lítium-diszilikát (IPS e.max® HT, Ivoclar Vivadent).

5. lítium-aluminoszilikáttal erősített lítium-diszilikát (Nice HT, Straumann).

Irodalmi adatok alapján a leggyakrabban előforduló Vita Classical fogszínek az A3 - 36,1%, A2 - 27,3%, A1 - 11,5%, C3 - 6,2%, C2 - 4,8%, D2 - 4,8%, B1 - 3,1%. Az irodalmi adatoknak, valamint a rendelő és a laboratórium tapasztalatainak megfelelően a leggyakrabban használt 5 színnek megfelelő tömbből lettek a színkulcsok kimarva: A1, A2, A3, B1, C2. A Vita Suprinity esetében az anyagot a gyártó B1 színben nem forgalmazza, ezért ott a A1, A2, A3, C2 színek mellett a B2 színre esett a választás (5. ábra).

2. Szkennelés - Tervezés - Marás

Egy hagyományos Vitapan Classical fogszínkulcsot Planmeca Emerald® S intraorális szkenner segítségével digitalizáltunk.

Az egyedi fogszínkulcs tervezése ExoCAD szoftverben történt, melynek során a beszkennelt virtuális kulcs hátoldalára egy sík felületet terveztünk a fogszínkulcs és nyél közti kapcsolatot biztosító klipper nagyságának megfelelően (6. ábra)

3. ábra: A1-es színű blokkokból kimart 1 mm falvastagságú cirkónium-doxid és üvegkerámia koronák (balról jobbra: A1 LT IPS e.max®, A1 HT IPS e.max®, és A1 HT Zolid Gen-X). Szabad szemmel is jól látható a különböző anyagú A1 színű koronák közötti különbség. Érdemes megfigyelni, hogy A1 színű, azonos anyagú, de eltérő transzlucenciájú (A1 HT és LT IPS e.max®) koronák színe között is milyen jelentős eltérés van.

Számos gyártó kínál CAD/CAM blokkokat fogpótlások készítéséhez. A fogorvos és fogtechnikus közös választása melyik cég termékét használja. Az egyedi fogszínkulcsokat mindennapos gyakorlatunkban használt anyagainkból könnyen és gyorsan elkészíthetjük. A hagyományos Vita fogszínkulcs digitalizálását követően, a megfelelő anyagból kimart színmintákat nyélhez rögzítve készül az egyedi fogszínkulcskészlet (4. ábra).

A marás megkezdése előtt nehézséget jelentett a maró szoftver stratégiájának kezelése, ugyanis a szoftver nem tudta értelmezni a szkennelt fogszínkulcsot, mert nem voltak preparációs határok, koronaszélek, ezért ismeretlen fogpótlásnak vélte a fogformát. Egyedi, speciális marási stratégiát kellet kidolgoznunk, tulajdonképpen „becsaptuk” a szoftvert, így sikerült elindítani a marási folyamatokat. Ez valamivel több időt vett igénybe, mint normál marási stratégia indítása (7. ábra).

A megtervezett cirkónium-dioxid fogszínkulcsokat a speciális marási stratégia használatával, Roland DWX 51 D száraz marógépben, az üvegkerámia fogszínkulcsokat vízhűtés mellett Amann Girrbach Ceramill Motion2 marógépben martuk ki. A marások során speciális gyémánt

48 e-Journal CAD/CAM
4. ábra: Az egyedi fogszínkulcsok elkészítésének lépései során a CAD/CAM anyagból mart színmintákat műanyag nyélre illesztjük.

VITA Classical fogszínkulcsok felhelyezése STYLEITALIANO nyélre

VITA Classical fogszínkulcs szkennelés

Egyedi fogszínkulcsok tervezése Marása és színterezése a fogszínkulcsoknak

Fogszínkulcsok polírozása és fényre égetése, sík felület kialakítása és rögzítése céljából

A STYLEITALIANO nyelek ráhelyezése az egyedi fogszínkulcsokra

fogszínkulcsok készítésének folyamatábrája: az intraorális szkennerrel digitalizált Vita fogszínkulcs alapján tervezett és CAD/CAM anyagból mart színmintákat az égetést követően műanyag nyélre illesztettük.

felszínnel ellátott marófejeket használtunk, a legkisebb marófejet is alkalmaztuk, annak érdekében, hogy a felületek nagyon finomak, simák legyenek, ugyanis nem lesznek a felszínek megmunkálva, csak fényégetés történik, így biztosítva az azonos vastagságokat és egyforma felszíneket.

3. Szinterelés/krisztallizációs égetés és glazúr fényégetés A marást követően a ZirCAD és Gen-X cirkónium-dioxid anyagok szinterelési és az E.max és Suprinity üvegkerámiák krisztallizációs égetése következett az adott anyag gyártói utasításainak megfelelően. A Nice üvegkerámia tömbök már a véglegesre krisztallizált formában kerülnek forgalomba, ennek előnye fogpótlások készítése során, hogy jelentősen meggyorsítja a munkafolyamatot, mivel nincs szükség krisztallizációra, hanem a marást és polírozást követően cementezhetőek (8. ábra, 9. a–b ábra)

49 VI. ÉVFOLYAM – 2023. 2. SZÁM
5. ábra Az egyedi 6. ábra A Vita Classical fogszínkulcsot intraorális szkennerrel beszkennelve, annak formáját lemásolva a fogtechnikai tervező szoftverben történik az egyedi fogszínkulcsok tervezése. 7. ábra A marási folyamatokhoz egyedi, speciális marási stratégiát kell kidolgozni.

8. ábra: A Nice HT, Straumann (lítium-aluminoszilikáttal erősített lítium-diszilikát) üvegkerámia előnye, hogy nincs szükség krisztallizációs égetésre. A képen az A1, A2, A3, B1 és C2 színben kimart egyedi fogszínkulcsok láthatóak közvetlenül a marás után.

1. A IPS e.max® ZirCAD LT cirkónium-dioxid fogszínkulcsokat a szinterelés után IPS Ivocolor glazúrmasszával égettük fényre (Ivoclar Vivadent).

2. Zolid Gen-X HT cirkónium-dioxid fogszínkulcsokra szinterelést követően IPS Ivocolor glazúrmassza került (Ivoclar Vivadent).

3. A Vita Suprintiy T cirkónium-dioxiddal erősített lítium-szilikát egyedi fogszínkulcsokat a krisztallizációt követően VITA AKZENT® glazúrpasztával (Vita Zahnfabrik) égettük fényre.

4. Az IPS e.max® HT lítium-diszilikát fogszínkulcsokra a krisztallizációs égetését követően IPS Ivocolor glazúrmassza került (Ivoclar Vivadent).

5. A Nice, Straumann HT lítium-aluminoszilikáttal erősített lítium-diszilikát fogszínkulcsok a marást követően VITA AKZENT® glazúrpasztával (Vita Zahnfabrik) lettek kezelve.

4. Rögzítés nyélhez

A tömbökből kimart színmintákat az egyedi kompozit színkulcsok készítéséhez forgalomban lévő My shade guide Master Kit nyélhez rögzítettük (My shade guide Master Kit” STYLEITALIANO®). A készlet a fogszínkulcsok készítéséhez szükséges nyeleket és tárolót tartalmazza, lényegesen leegyszerűsítve és meggyorsítva egyedi fogszínkulcsaink elkészítését. (https://products.styleitaliano.org/smileline/myshade-guide-kit/

A műanyag nyeleket és tárolókat 3D nyomtatással saját magunk is készíthetjük. Érdemes arra figyelni, hogy a nyelek kialakítása és a forgatható klipper teszi lehetővé a fogszínkulcsok helyes pozicionálását a referenciafotók készítése során (10–18. ábra)

10. ábra Az egyedi fogszínkulcskészlet készítéséhez használt Styleitaliano My Shade Guide Master Kit https:// products.styleitaliano.org/smileline/my-shade-guide-kit/

11. ábra A Styleitaliano My Shade Guide Kit nyél, klipper és színminta kapcsolata. A nyél formája és a forgatható klipper teszi lehetővé, hogy a színmintát a fog mellett helyesen tudjuk pozicionálni a referenciafotók elkészítéséhez. https://products.styleitaliano.org/smileline/my-shadeguide-kit/

50 e-Journal CAD/CAM
9. b ábra A1 színű tömbökből kimart Vita Suprinity, IPS e. max, Zolid Gen-X, IPS e.max ZirCAD és Straumann Nice egyedi fogszínkulcsok glazúrégetés után. 9. a ábra Az A1 színű Nice, Straumann HT tömbből kimart üvegkerámia fogszínkulcs a glazúrégetés előtt.

12. a–b ábra: Életképek a fogtechnikai laborból a fogszínkulcsok készítése során.

13. ábra My shade guide Master Kit” tárolók és a CAD/CAM blokkokból kimart 5-5 színminták a nyelekhez rögzítve.

14. ábra Az elkészült egyedi fogszínkulcskészlet a CAD/CAM blokkokból kimart 5-5 színmintakészlettel.

15. a ábra Az A2 Vita Classical fogszínkulcs és az A2 jelölésű blokkokból egyedileg mart fogszínkulcsok színe közötti különbség jól megfigyelhető a képeken (Straumann Nice, IPS e.max, Vita Suprinity, IPS e.max ZirCAD, Zolid Gen-X, Vita classic fogszínkulcs) és 15. b ábra Az A3 Vita Classical fogszínkulcs és az A3 jelölésű blokkokból mart fogszínkulcsok színe közti különbség szintén szabad szemmel is jól látható.

16. ábra A3 Vitapan Classical fogszínkulcs és az egyedi A3 ZirCad fogszínkulcs színe közti különbség szabad szemmel is jól látható.

17. ábra A1, B1, C2 ZirCad cirkónium-dioxidból mart színminták és a megfelelő Vita Classical fogszínkulcsok. A klasszikus Vita fogszínkulcsok színe szabad szemmel is jól láthatóan eltér az azonos jelölésű blokkokból kimart cirkónium-dioxid mintáktól. Az azonos színű blokkokból kimart minták színe azonos, a gyártó cég által forgalomba hozott anyag színállandóságának köszönhetően egy adott színű blokkból kimart színkulcs valamennyi azonos színjelű blokkhoz mintaként használható.

51 VI. ÉVFOLYAM – 2023. 2. SZÁM
12a 12b 13 14 15a 15b 16 17

Összefoglalás

A CAD/CAM technológia utat nyitott a fogászatban a monolitikus fogpótlások elterjedésének. A monolitikus CAD/CAM anyagok nem csak ellenálló képességükben, de színükben és transzparenciájukban is mások, mint a korábban rutinszerűen használt leplezőkerámiák. A színhelyes monolitikus fogpótlás készítése komoly kihívást jelent a rendelő és a laboratórium számára. A rosszul választott fogszínt korrigálni rendkívül költséges, hiszen extra időt igényel, számos esetben a fogpótlás újra készítése szükséges. A digitális technika segítségével kitökéletesített és a hagyományos elveket is szem előtt tartó színválasztási protokoll és az egyedi fogszínkulcs az esztétikai eredményt kiszámíthatóvá teszi. A vizuális és digitális módszer kombinációja az alapszín kivá-

Irodalom

• Abram,E., Gajdatsy, G., Feher,D., Salata, J.,Beleznai, Sz., Hermann, P., Borbely, J., Shen, Z.J. (2019). Spectrophotometric examination of the optical effects of monolithic multilayered zirconia with different substrates. J Esthet Restor Dent, 31(5): 261-266

• Bergen, S.F., McCasland, J. (1977). Dental Operatory lighting and tooth color discrimination. JADA. Archive. 94(1):130-4.

• Borbély, J., Ábrám, E. (2022) Fogszín-meghatározás. In Hermann, P., Kispélyi, B. (szerk.) Fogpótlástan. Semmelweis Kiadó és Multimédia Stúdió

• Borbély, J., Hajdu, Z., Whiteman ,YY., Gerlóczy, P., McLaren, EA. (2015) Kerámia. In Kóbor, A., Kivovics, P., Hermann, P. (szerk.) Fogpótlástani anyagtan és odontotechnológia. Semmelweis Kiadó és Multimédia Stúdió

• Chu, S.J., Trushowsky, R.D., Paravina, R.D. (2010) Dental color matching instruments and systems. Review of clinical and research aspects, J Dent, 38 Suppl 2:e2-16.

• Czigola, A., Abram, E., Kovacs, Z., Marton, K., Hermann, P., Borbely, J. (2019). Effects of substrate, ceramic thickness, translucency, and cement shade on the color of CAD/CAM lithium- disilicate crowns, J Esthet Restor Dent, Sep;31(5):457-464

• Curd, F.M., Jasinevicius, T.R., Graves, A., Cox, V., Sadan, A.(2006). Comparison of the shade matching ability of dental students using two light sources. J Prosthet Dent, 96: 391-396.

• Elamin, H. O., Abubakr, N. H., Ibrahim, Y. E. (2015). Identifying the tooth shade in group of patients using Vita Easyshade. European journal of dentistry, 9(2), 213-217.

• Fehér, D. Az esztétikus fogpótlások és a fogszín-meghatározás története. (2022) Kaleidoscope

• Haddad, H. J., Jakstat, H. A., Arnetzl, G., Borbely, J., Vichi, A., Dumfahrt, H., Renault, P., Corcodel, N., Pohlen, B., Marada, G., de Parga, J. A., Reshad, M., Klinke, T. U., Hannak, W. B., & Paravina, R.

lasztását teszi megbízhatóvá. Az egyedi fogszínkulccsal készített referenciafotó a pótlás megfestésében, az egyedi jellegzetességek reprodukciójában nélkülözhetetlen. Az egyedi fogszínkulcsok a fogtechnikai laboratóriumban a CAD/CAM technológia segítségével könnyen elkészíthetőek (19. ábra).

D. (2009). Does gender and experience influence shade matching quality? J Dent, 37 Suppl 1, e40-44.

• Igiel, C., Lehmann, K. M., Ghinea, R., Weyhrauch, M., Hangx, Y., Scheller, H., & Paravina, R. D. (2017). Reliability of visual and instrumental color matching. J Esthet Restor Dent, 29(5), 303-308.

• Jasinevicius, T.R., Curd, F.M., Schilling, L., Sadan, A. (2009). Shade-matching abilities of dental laboratory technicians using a commercial light source. J Prosthodont, 18: 60-3.

• Paravina, R.D., Powers, J.M., Fay, R.M. (2002). Color comparison of two shade guides. Int J Prosthodont, 15 (1):31-34.

• Paravina, R.D., Powers, J.M. (2004). Esthetic Color Training in Dentistry. St. Louis: Mosby, 165 p.

• Paravina ,R.D. (2009). Performance assessment of dental shade guides. J Dent, 37:15–20.

• Tabatabaian, F., Beyabanaki, E., Alirezaei, P., Epakchi, S. (2021). Visual and digital tooth shade selection methods, related effective factors and conditions, and their accuracy and precision: A literature review. J Esthet Restor Dent, 33(8), 1084-1104.

• https://products.styleitaliano.org/smileline/my-shade-guide-kit/

• https://smilelineusa.com/product/smile-lite-shade-matching-for-the-specialist/

• https://www.straumann.com/digital/en/home/consumables/ blocs/straumann-nice.html

• https://www.vita-zahnfabrik.com/en/VITA-SUPRINITYPC-44049.html

• https://www.ivoclar.com/en_li/products/digital-processes/ips-e. max-cad

• https://www.ivoclar.com/en_li/products/digital-processes/ips-e. max-zircad

• https://www.amanngirrbach.com/en/products/cadcam-material/ ceramic/zolid-zirconia/zolid-gen-x/

52 e-Journal CAD/CAM
18. ábra: A1 jelzésű blokkokból kimart 1 mm vastag cirkónium-dioxid és üvegkerámia koronák (Gen-X HT és E.max HT) és a megfelelő egyedi fogszínkulcsok. 19. ábra Az egyedi fogszínkulcskészlet 5 különböző CAD/ CAM anyagból készített színmintákkal.
Turnstr. 31 I 75228 Ispringen I Germany I Phone + 49 72 31 / 803 - 0 I Fax + 49 72 31 / 803 - 295 www.dentaurum.com I info@dentaurum.com More information v myfirst ceramic inpaste
HU_2003_cM_One_Touch-No_Limits_Pink.indd 3 17.03.20 14:10
Realisation and Photo: © Christian Ferrari

Nekünk, fogtechnikusoknak tisztában kell lennünk

a fogpótlás elkészítése során hozunk, következményei

hogy a héjak stabilitására összpontosítsunk, elérjünk. Ezért választottuk

lennünk azzal, hogy minden döntésünknek, amelyet

következményei vannak. Ebben az esetben fontos volt,

pontosítsunk, ugyanakkor magas esztétikai minőséget is választottuk a sajtolási technikát

Böröczky Attila

EGYSZERŰEN SZÉP: TERMÉSZETES HARMÓNIA PRÉSKERÁMIÁVAL (IPS E.MAX PRESS)

Az esztétikai-restauratív kezelésekben számos szempont szorosan összefonódik. Ez különösen így van egy komplex kezelés esetén, ezért a sikeres eredmény csak a fogorvosi rendelő, a fogtechnikai laboratórium és a páciens közötti szoros együttműködéssel érhető el. A szerző felhívja a figyelmet a helyzet konkrét elemzésén alapuló, jól átgondolt eljárásra. A fogtechnikai laboratóriumban többek között az anyagválasztás és a gyártás módja a sikert meghatározó tényezők. A bemutatott beteg esetében a préskerámia (IPS e.max Press, Ivoclar) vezetett a célhoz.

„Legyen egyszerűen szép” – ez a páciens kívánsága az esztétikailag indikált kezelés esetén. De ami a végén egyszerűen szépnek látszik, azt nem mindig egyszerű elérni. Gyakran találkozunk olyan összetett esetekkel, amelyeknél az egyszerű esztétikai korrekció nem jöhet szóba. A bemutatott eset kihívást jelentett a kezelő fogorvosnak és számomra mint fogtechnikusnak is.

A páciens az elülső régióban jelentős fogeltéréssel – szkeletális frontális nyitott harapással – jelentkezett (1. ábra). A páciens esztétikai javulást akart. Fogászati állapota összetett okokra vezethető vissza. Az Angle III. osztályra való hajlam (túlméretezett alsóállkapocs-fogív), amelyet nem diagnosztizáltak időben, valamint a reflux miatt fennálló folyamatos savas expozíció ideális feltételeket teremtett a fokozott fogkopáshoz és az alsó állkapocs ebből eredő funkcionális elmozdulásához. Kezdetben a fogszabályozást rögzített készülékekkel végezték (2. ábra). A felső elülső fogakat direkt rekonstrukciókkal építették fel, és megszüntették a felső és alsó állkapocs közötti funkcionális eltérést (3. ábra). A beteg már ekkor elégedett volt a kezelés eredményeivel.

Fogtechnikai elemzés

Ekkor az esztétikai rehabilitáció került a középpontba. A 13–23. fogakat teljes kerámiahéjjal kellett helyreállítani. Ami ebben az esetben első látásra lenyűgöző, az az alsó állkapocs természetes fogainak gyönyörű mamelonstruktúrája (4. ábra). A fogorvos hangsúlyozta, hogy ezt a sokrétű belső színjátékot szeretné átültetni a kerámiarestaurációkba. Azt kérte, hogy próbálják meg reprodukálni a gyönyörű átlátszóságot, valamint a mamelonstruktúrát, amennyire az anyag és a technika, valamint a fogtechnikai készség és a művészi képesség lehetővé teszi. Sok éve dolgozunk együtt, és tudtuk, hogy számíthattunk a sikeres csapatmunkára.

Munkám megkezdése előtt felmértem a jelenlegi fogászati helyzetet esztétikai szempontból. A fogorvos azt tanácsolta

56 e-Journal CAD/CAM
1. ábra: Kiindulási helyzet (szkeletális nyitott harapás) és Angle III. osztály felé mutató tendencia 2. ábra: Helyzet a fogszabályozás során 3. ábra: A fogszabályozó kezelés után, a restaurációs fázis kezdete.

a páciensnek, hogy keresse fel a fogászati laboratóriumot. A tapasztalat azt mutatja, hogy a páciens és a fogtechnikus közötti személyes találkozás során sokkal több információ nyerhető, mint a fényképekből. A páciens laboratóriumi látogatása során egyik célom az volt, hogy azonosítsam a fogak jellemzőit és a sajátos vonásokat, valamint hogy átfogó képet kapjak a fiatal hölgyről. Számomra a személyes kapcsolat döntő szerepet játszik egy esztétikus restauráció elkészítésében.

Ez az eset arra is példa, hogy a digitális technológiák megkönnyítik a cél reprodukálható módon történő elérését. Egy digitális wax-up alapján könnyen és egyszerűen elkészíthető egy 3D mosolyterv (mock-up), és – a fogorvossal együtt –minimálisan invazív módon értékelhető a szájban. A kívánt helyzet előzetes szimulációjának köszönhetően a terv öszszehangolható a beteg kívánságaival még a manuális kidolgozás megkezdése előtt.

Anyagválasztás

A páciens kérésére a kerámiahéjakkal jelentősen meg kellett hosszabbítani az elülső fogakat. Az anyagválasztás döntő fontosságú a hosszú távon stabil eredmény szempontjából. Ebben az esetben három tényezőt kellett a lehető legjobban összehangolni: szilárdság, stabilitás és esztétikai igények. Az anyagnak mindhárom szempontnak meg kell felelnie. És ha őszinték vagyunk, a fogászati technológia iránti szenvedélyünk ellenére egy negyedik szempontot sem lehet figyelmen kívül hagyni: a munka mennyiségét. Ezenkívül ott vannak a megfelelő kézműveskészségek is. A fogtechnikai ismeretek mellett kreatív és művészi készségekre is szükség van. Minden fogászati helyreállítás a fogtechnikus technikai kifinomultságát, motivációját és hangulatát, valamint a rendelkezésre álló időt tükrözi. Páciensünk esetében három lehetőséget mérlegeltem a héjak elkészítésére:

• réteges héjak tűzálló csonkokon,

• préselt héjak labialis rétegződéssel,

• teljesen anatómiai héjak sajtolási technikával.

A rendelkezésre álló információk alapján elvileg mindegyik megvalósítása lehetséges volt. Ezért kritikusan kellett mérlegelni a három eljárás előnyeit és hátrányait, majd kiválasztani a lehető legjobb módszert és az optimális anyagot.

Ha az esztétika a döntő tényező, akkor véleményem szerint a tűzálló csonkokra rétegezett héjak a megfelelő módszer.

Ha az esztétikán kívül más szempontok is fontosak, például a stabilitás, akkor tisztában kell lennünk azzal, hogy ez mit jelent az adott gyártási technikára nézve. Ebben az esetben az elülső fogak meghosszabbítása volt a döntő tényező. A restaurációk nagy szilárdságára és stabilitására volt szükség. Ezért a tűzálló csonkokra történő rétegezés nem volt lehetséges. A döntés a préselt restauráció mellett született. A préselt kerámiák nagyobb szilárdsági értékekkel rendelkeznek, és így nagyobb stabilitást nyújtanak, mint a klasszikus rétegkerámia. Ettől eltekintve a tűzálló csonkokon történő rétegezés technikailag igényes és időigényes is. A munkafolyamat bizonyos szintű kézügyességet igényel. Most egy másik kérdésre is választ kellett adni. A préselt restaurációkat a Cut-Back után leplezni kell, vagy teljesen anatómiaiaknak kell lenniük? Ez a döntés nagyon nehéz volt számomra. A választ ezért egyelőre „elhalasztottam”, és a munkafolyamat más lépéseit részesítettem előnyben.

Előmunkálatok a fogászati laboratóriumban

A fogak preparálása után (5. ábra) a szituációt hagyományos módon kiöntötték, majd modelleket készítettek. A tapasztalat azt mutatja, hogy három munkamodell készítése hasznos:

• Fűrészelt modell, amelyre a restaurációkat gyártják

• Mestermodell, az approximális és okkluzális érintkezések ellenőrzéséhez

• Kontrollmodell az illeszkedés pontosságának ellenőrzésére. Ha a fűrészelt modell megsérül, a kontrollmodell nélkülözhetetlen.

A fogak új morfológiájának kidolgozásához készítettem egy wax-upot. A héjak felviaszolása nem könnyű a törékeny restaurációk esetében. Ha a csonkok jól izoláltak, a viaszszerkezetek könnyen megcsúsznak, megsérülnek, vagy legroszszabb esetben eltörnek. Ha a csonkok kevésbé jól izoláltak, a restaurációk deformálódhatnak és/vagy tönkremehetnek az eltávolítás során. Ezért a filigrán szerkezetek gyártásakor gondosan kell eljárni. A digitalizálás fejlődésének köszönhetően a terv elkészítése és végül a digitális gyártás is könnyen elvégezhető (3Shape Dental Designer) (6. ábra). Egy csapatként együttműködve teljesen a páciens igényeihez igazítottuk a fogpótlások formáját és morfológiáját. A modern technológiák ezt nagyon megkönnyítik. Mindenekelőtt a beállítás azonnal lehetséges, amit nagy előnynek tartok.

57 VI. ÉVFOLYAM – 2023. 2. SZÁM
4. ábra: Az alsó állkapocs természetes elülső fogainak lenyűgöző mamelonstruktúrája. Ezt kellett pontosan leutánozni. 5. ábra: A 13–23. fogak minimálisan invazív előkészítése a teljes kerámiaburkolatokhoz.

A wax-up alapján most már meg lehetett állapítani a kívánt fogforma és a preparált fogak közötti távolságot. Ez az információ fontos ahhoz, hogy a szükséges anyagvastagságokat megőrizzük, és szükség esetén a héjakat labialis rétegződéssel tudjuk ellátni (7. és 8. ábra). A héjak nagyon vékony falvastagsága és az egyidejűleg szükséges foghosszabbítás miatt úgy döntöttem, hogy teljesen anatómiai préselést alkalmazok. Fontos volt, hogy ez az eljárás ne menjen az esztétika rovására. Miután a fogászati tervezés elkészült, a páciens eljött a laboratóriumba. Most a hangsúly a fogszínre és annak jellemzőire helyeződött. Fényképek készültek, és a fogakról színtérképet készítettek.

A héjak gyártása

A megtervezett restaurációkat CAD/CAM támogatással viaszkorongból marattuk ki, a peremterületeket mikroszkóp alatt finomítottuk a fűrészelt modellen, és az illeszkedést a kontrollmodellen ellenőriztük. A préselemet (IPS e.max Press, Ivoclar) az anyagvastagságnak és a kívánt fogszínnek megfelelően választottuk ki. Vékony falvastagságok esetén, mint ebben az esetben is, figyelembe kell venni a csonk színét is. Az én nagy kedvencem az IPS e.max Press MT munkadarab közepes áttetszőséggel, a restaurációk többségét a laboratóriumban ebből készítem. Az anyag természetesnek tűnő, nagy átlátszóságú, így szép és esztétikus eredményeket nyújt (9. és 10. ábra).

A préstechnológia mára tökéletesen kiforrott és rendkívül precíz. Ha az ember követi a gyártó utasításait, és például Programat EP 3010 préskemencét (Ivoclar) használ, jó préselési eredményre számíthat. Ha hibás illeszkedés előfordul,

a hiba általában a felhasználót terheli. A beágyazás anyaga is fontos szerepet játszik. Szeretek az IPS PressVest Premium (Ivoclar) finomszemcsés beágyazóanyaggal dolgozni. A reakciós réteg a préselés után könnyen eltávolítható. A gyártó azt ajánlja, hogy a restaurációk 4 bar nyomáson (durva kiágyazás), majd finom szóróanyaggal 2 bar nyomáson (finom kiágyazás) legyenek kiágyazva.

Az eljárás során a teljes kerámiához vagy üvegkerámiához megfelelő csiszolóeszközöket kell használni. Először a préscsatornákat távolítottam el egy vékony vágókoronggal, majd a héjak széleit és felületét finom gyémánt- és közepesen finom kerámiapolírozóval munkáltam meg, majd ezután a makrotextúrát készítettem el. A préselés eredménye nagyon pontos volt, ezért csak minimális átdolgozást kellett végezni. Mindig mikroszkóp alatt ellenőrzöm az illeszkedést. A felületi textúra kialakítása után a monolitikusan préselt restaurációkat festési technikával karakterizáltam. Erre

58 e-Journal CAD/CAM
a célra az 6. ábra: Digitális wax-up (Dental Designer, 3Shape). 7. ábra: A kívánt foghosszabbítás ábrázolása. 8. ábra: A hézagok helyének (labialis) és rétegvastagságának felmérése. 10. ábra: Préselt héjak (IPS e.max Press MT) a kiágyazást és a lefúvást követően. 9. ábra: A préselési eljáráshoz felcsiszolt héjak.
CSAK SZÍNEZZEN Esthetic Colorant Esztétikus színezők a a “KATANA™ Zirconia”-hoz Forgalmazza New York Dental Kft. H-1135 Budapest, Frangepán utca 66/B. Telefon +36 (1) 236 40000 www.newyorkdental.hu vevoszolgalat@newyorkdental.hu N E W YORK DEN T A L

IPS Ivocolor (Ivoclar) festő és mázoló rendszert használom. Amit különösen szeretek benne, az az árnyalatok és esszenciák széles választéka. A 35 különböző anyag lehetővé teszi, hogy néhány lépésben bármilyen fogszínt utánozhassunk, és minden elképzelhető mintát karakterizáljunk. Ebben az esetben a természetes alsó fogak mamelonstruktúrája volt a mércénk. A „puha” rétegezéshez IPS Ivocolor-t használtam, és optimalizáltam a mázpaszta állagát, hogy finom mikrotextúrákat hozzak létre. Az erős fényesség selymes csillogássá alakítása érdekében az égetés után a restaurációkat gyémántpasztával és kecskeszőr kefével políroztam, majd a felületet egy finom OptraFine Finisherrel (Ivoclar) véglegesítettem (11. ábra). A gyönyörű selymes fénye ideálisan illeszkedik a természetes szomszédos fogakhoz (12. ábra)

Eredmény

Miután megbizonyosodtunk arról, hogy a fog alakja és hoszsza megfelel a páciens kívánságainak (mock-up), a fogpótlásokat átadtuk a fogorvosi rendelőnek. Izgatottan vártuk a behelyezés napját és a páciens visszajelzését. A végleges fotók a héjakkal önmagukért beszélnek, ahogy a páciens öröme is, amikor először látta magát a tükörben (13. ábra)

A fogszabályozó előkezelés miatti komplex és költséges te-

rápia megérte számára, az eredmény felülmúlta a várakozásait. A fogpótlások természetesen illeszkedtek a szájába, és jól illeszkedtek az arcához és a mosolyához. Mi mint munkacsoport is nagyon elégedettek voltunk az eredménnyel. A mamelonstruktúra utánzása jól sikerült (14. és 15. ábra).

Összegzés

Egyszerűen szép – ennek a páciensnek a kívánsága teljesülhetett. Az egyik alap a jól átgondolt eljárás és a csapaton belüli koordináció volt. Nekünk, fogtechnikusoknak tisztában kell lennünk azzal, hogy minden döntésünknek, amelyet a fogpótlás elkészítése során hozunk, következményei vannak. Ebben az esetben fontos volt, hogy a héjak stabilitására összpontosítsunk, ugyanakkor magas esztétikai minőséget is elérjünk. Ezért választottuk a sajtolási

60 e-Journal CAD/CAM
11. ábra: A héj a karakterizálásra és a fényesség beállítására szolgáló kézi polírozás után. 12. ábra: A héjak természetes felületi textúrája és selymes fénye az elkészítés után. technikát (IPS e.max Press, Ivoclar). 13. ábra: Első pillantás a tükörbe. A páciens a kész restaurációval. 14. ábra: Az alsó állkapocs természetes fogain levő lenyűgöző mamelonstruktúrák sikeres utánzása. 15. ábra: Közelkép – a préselt héjak (IPS e.max Press) természetes megjelenésű integrálása a fogászati környezetbe.
Straumann® Cares® Digitális Megoldások – Intraorál szkenner Straumann® Virtuo VivoTM Mert minden részlet számít. Straumann® Care S® Digitáli S m egol DáS ok SzkenneléS valóS Színekben. Ultrakönnyű éS rendkívül kiSméretű fej. Tel.: +36 30 484 0335 E-mail: info@dentupgrade.hu Web: https://dentupgrade.hu

TELESZKÓPOS FOGPÓTLÁS KOMPLEX REVÍZIÓJA

Teleszkópos, kivehető pótlás újrakészítését írja le Martin Weppler. Az eset komplex és zűrös volt – valódi kihívás, ráadásul a primerek hibátlanok voltak.

R. úr tulajdonképpen csak az évek során elhasználódott szekunder konstrukcióját akarta kijavíttatni. Ez volt a helyzet, mielőtt a fogorvos és a laboratórium találkoztak vele. Minden készüljön el gyorsan, a lehető legkevesebb fogorvosi vizittel, és persze a lehető legolcsóbban…

Az ilyen „boxutca-kívánságlista” a páciensek részéről ismerős számunkra – vihargyorsan történjen meg minden, akárcsak a kerékcsere a Forma 1-ben. Talán a CAD/CAM technológia segítségével közelíthetünk ehhez a célkitűzéshez. Kevesebb ülés, egymásra épülő szkennelések és virtuális tervek, a CAD-építőelem-rendszer részeként, a fizikai minták messzemenő kikerülése a köztes- és segéd-konstrukciók készítése során – ez lehet esetleg a megoldás útja.

Az eset három elmélet kipróbálására is szolgált, ezek a következők voltak:

1. A CAD/CAM technológiával lehetséges csökkenteni a kezelés-látogatások és a munkafolyamatok számát.

2. Az intraorális szkennelések alapján nyomtatott minták, illetve csonkok reprodukálható következtetések levonását teszik lehetővé a valós szájhelyzetről az illeszkedés és súrlódás kérdéskörében.

3. A második elmélet nyomtatott szekunder részekre is vonatkozik, ha a későbbiekben azokat klasszikus öntéstechnikával készítjük.

A jövőben minta és laboratóriumi artikulátor nélkül is készülhet majd korona vagy híd CAD/CAM munkafolyamatok során, az abban rendelkezésre álló segédeszközökkel. Jóval bonyolultabb ezzel szemben teleszkópos, kivehető munka készítése, ha a kifogástalan állapotú primerek még a szájban találhatók, és nem áll fenn klinikai indok ezek eltávolítására, a környező szövetek revíziójára.

Primerek lemintázása, gipsz- vagy műanyag minta készítése, arra illeszkedő és azon megfelelően súrlódó szekunderek készítése bizony kemény kihívást jelent.

Nincs fogorvos és fogtechnikus, akinek kedve volna túl szoros szekunderek páciens szájában történő passzítgatására. A minden évben készülő, implantátum-bázisú, kivehető munkákkal kapcsolatos ilyen jellegű feladatok egyre sokasodni fognak. Míg az implantátumos primerek könnyen eltávolíthatók (ha csavarrögzítésűek), és a szájjal azonos minta könnyen előállítható, ugyanez természetes fogak csonkjaira ragasztott primer részek kapcsán nem olyan könnyen végrehajtható. Túl sok variációt kell egy funkciós kalap alá hozni a tágulás és zsugorodás kérdéskörében.

Ehhez képest egyszerűnek tűnik a szájban található primereket intraorálisan beszkennelni, az adatok alapján szekundereket tervezni, ezeket kifrézelni, ezeket a primerekre

62 e-Journal CAD/CAM
Minták – Formlabs-szal nyomtatva. A kiindulási helyzet a szekunder konstrukció levétele után.

minden különösebb utómunkálat nélkül a szájba helyezni, és az ugyanezen adatok alapján – tehát a CAD konstruálta szekunderek bázisán – készülő tercier-, illetve teljes anatómikus konstrukciót a szájban összeragasztani a szekunderekkel. Hosszabb életszakaszon keresztül stressz-törőként szolgált a fogsor. A vertikális összekötő már régen nem ott volt, ahol lennie kellett volna, illetve ahová annak idején illeszkedett. Az úr inkább küzdött már meglévő harapási helyzetével és magasságával, mintsem élvezte azt. Ennek továbbvitele értelmetlen lett volna, sőt, büntetendő. A képeken is könnyű felismerni, hogyan „dolgozott” évekig szorgalmasan a szekunderek arany „rágófelszínein”. A páciens nyaki feszülésre, és fejfájásra is panaszkodott. Manapság már kevesebb stresszel küzd, de természetesen folyamatosan keresi és meg is találja túl mély és hibás harapását. Hosszabb idejű sínterápiával átprogramozták harapási relációját, és meg is emelték azt a szükséges mértékben.

Meg kell említeni, hogy a pácienst kezdettől fogva zavarta a transzverzális összekötő ív.

Az eset kapcsán át kellett gondolni azt a variációt is, hogy eltávolítjuk a primereket, és fültől fülig cirkon körhidat készítünk. Ezt azonban nem akarta a páciens. Túl sok elő- és átalakító munkálatra lett volna szükség, és a költségek is nagyon magasak lettek volna. Nem kevesen ismerik ráadásul a kivehető teleszkópos munkák előnyeit is – páciensünk is közéjük tartozik. Néha a kivehető fogpótlás a legjobb megoldás.

R. úr esztétikai szempontból, formailag, színben és a fogállás szerint elégedett volt pótlásával. Természetesen a leplezések a hosszú évek során tompává és egyszínűvé váltak. A pácienssel folytatott beszélgetés során az is kiderült, hogy a súrlódás időközben jelentősen csökkent. A fogsort enyhe szájnyitáskor le tudta lökni nyelve hegyével.

A páciens legfőbb kívánsága az volt, hogy a költségeket és ráfordítást a lehető legalacsonyabban tartsuk. Amikor felhívtuk figyelmét, hogy masszív teleszkópos munkája magas aranytartalmú ötvözetből az évek során kis pénzügyi befektetéssé mutálódott, annál jobban örült.

Az új szekunderek később összesen 4,89 gramm tömeggel készültek magas aranytartalmú ötvözetből. Ez csak 0,815 gramm szekunder koronánként. A páciens régi munkája 37,2 g tömegű, a nem nemes alkotók levonása után legalább 30 g magas aranytartalmú ötvözetet tartalmaz.

Az elmélet

Az egyes lépéseket a következő módon terveztük:

első ülés:

1. intraorális szkennelés a régi fogsorral

2. intraorális szkennelés a primerekkel

3. intraorális szkennelés antagonista

Labor:

4. mintakészítés 3D nyomtatással

5. a szekunderek CAD tervezése

6. a tercier CAD tervezése

7. az új fogfelállítás (set-up) (harapásemeléssel) CAD tervezése

8. az új fogfelállítás nyomtatása 3D-vel

9. az arany szekunderek kimaratása (C. Hafner céggel)

10. a tercier elkészítése

63 VI. ÉVFOLYAM – 2023. 2. SZÁM
(SLM, marás vagy öntés) Szkennelés por nélkül. A 2o-os kónusz-munka mellett nem múltak el nyomtalanul az évek. Nagy felületű lepattanások, masszív abráziók, még a szabaddá vált arany felszíneken is. A rombolás mértéke labiál felől nem felismerhető. A páciens hasonló esztétikájú új pótlást szeretett volna. Így kaptuk meg a C. Hafner cégtől az új frézelt szekundereket. Összsúly: 4,89 g!

második ülés:

11. a nyomtatott fogfelállítás próbája

12. a harapás, fonetika és esztétika beállítása

13. a szekunderek próbája a tercierrel együtt

14. a tercier összeragasztása a szekunderekkel

15. gyűjtőlenyomat

harmadik ülés:

16. a fogfelállítás próbája, kezelőorvosi ellenőrzése

Labor:

17. készrevitel

negyedik ülés:

18. a kész munka próbája, finomillesztése, súrlódás állítása in situ

A gyakorlat

Megjegyzés: első eset volt, amikor megpróbáltuk ezt az utat járni, mind a rendelőben, mind a laborban. A szekunder részekre vonatkozó tapasztalati értékek intraorális szkennelés vonatkozásában még nem álltak rendelkezésre. A következő kis botlások vártak ránk:

1. Az első, por nélkül végzett szkennelés nem mutatott tökéletes képet. Bár a Sirona a fémfelületek szkennelését porbevonat nélkül ajánlja, a következő beolvasást már porbevonattal végeztük. Ekkor már tökéletesek voltak a felszínek a CAD programban.

kópokra alkalmazott módon. A változatlan értékekkel tervezett szekunderek túl nagyok lettek, súrlódás nem volt. Világosan megmutatkozott – ahogy vártuk is -, az érezhető és mérhető különbség a porborítás nélküli és porborított felszín alapján készült szekunderek között. Logikus. A megváltoztatott értékekkel tervezett szekunderek szinte tökéletes súrlódásúak lettek, de nem értek a primerek széléig, túl rövidek voltak, mert felültek a koronák okklúziós felszínén.

Az intraorális beolvasás láthatóan „narancsbőrös” felszínt hozott létre. Úgy látszik, mégiscsak túl nagy a reflexió.

4. A következő sorozatot az Exocad szoftverben, olyan beállításokkal terveztük, amelyeket napi munkánkban kónuszos primerekre készülő nem nemesfém szekunderek esetében használunk (a frézeléssel készülő nem nemesfém szekundereket a kombident-től vásároljuk, velük gyártatjuk). Az eredmény: minimális belső polírozást követően tökéletes illeszkedés és súrlódás!

A második elmélethez fűzném hozzá: A nyomtatott minták, illetve csonkok lehetővé teszik reprodukálható következtetések levonását a valós szájhelyzetről az illeszkedés és súrlódás kérdéskörében.

A különböző szekunderek nyomtatott, vágatlan mintán és nyomtatott csonkokon mutatott illeszkedése és súrlódása esetünkben a szájban levő eredeti arany primer elemekre vonatkozó következtetésekre sarkallt bennünket.

Konkrétan: A szekunderek nagyon jó széli záródással illeszkedtek a nyomtatott csonkokon. A súrlódás tökéletes volt.

Az IO-szkennelés porbevonat utáni eredménye.

2. A szekunderek első sorozatát a 3Shape Dental Designerrel olyan értékekkel terveztük, amelyeket eddig 0°-os, vállas teleszkópoknál alkalmaztunk. Az első sorozat jelentősen szűk lett.

3. Az STL-file alapján, amelyet a porborítású szkennelésből kaptunk, azonos illeszkedési értékekkel újabb szekundereket terveztünk, illetve egy sorozatot megváltoztatott értékekkel, de még mindig az általánosan 0°-os telesz-

Természetesen más a csúszási súrlódás műanyag és arany, illetve arany és arany felszín között, előbbi könnyebb felhelyezést

64 e-Journal CAD/CAM
tesz lehetővé. Mi lesz szájban? A célt még nem értük el. A súrlódás majdnem tökéletes, de nem az az illeszkedés. A két egyes még nem ül a helyén. Minimális belső polírozás után mindkettő a helyére került, mint az a 23-asnál megfigyelhető.

Azonos tervezési adatokkal dolgoztunk, mint a nem nemesfém szekunderek készítése során (réssel az okkluzális felszínen).

nyomtatott mintán, mint a szájban. A súrlódási erőt a páciens kellemesnek érzékelte.

Az okklúziót és a vertikális magasságot finoman beállították a szájban, és a páciens is jóváhagyta.

Nyomtatás és öntés

A második elmélet a nyomtatott szekunder részekre is vonatkozik, ha klasszikus öntéssel folytatjuk a munkát.

Aki bármilyen okból szájban található primerekre szekundereket szeretne készíteni, vagy készítenie kell (mert pl. speciális ötvözettel dolgozik), annak a számára jó ez az eljárás.

A nyomtatott szekundereket bepróbálhatjuk a szájba, és finomíthatjuk a súrlódást és illeszkedést. Az öntési és beágyazási paraméterek pontos betartásával pontos, súrlódó szekundert kapunk. A tesztet elvégeztük a laborban, igen jó eredménnyel.

A képek további részleteket mutatnak a munkáról.

A szekunder részek illeszkedése a nyomtatott mintán reprodukálható következtetések levonását teszi lehetővé a valós szájhelyzetről az illeszkedés és súrlódás kérdéskörében.

A szájban is nagyon jó volt a széli záródás. A súrlódás kicsit erősebb volt, de csak olyan mértékben, ami még az akceptálható utómunkálati területen maradt. Célunk, a decens, de erőteljes súrlódás elérése szájban, könnyen megvalósítható volt kis habkőporral, pasztákkal. Híven az „inkább kissé szoros, mint laza” alapelvhez.

Hasonló paradigmákkal találkoztunk a fogfelállítás (set-up) kapcsán, amelyet a páciens maga helyezett szájba, illetve vett ki is onnan, és amelynek súrlódása szintén kisebb volt a

A nyomtatott set-up in situ. A páciens „próbautat” tehet súrlódás, kezelhetőség, tapintás és fonetika szempontjából.

65 VI. ÉVFOLYAM – 2023. 2. SZÁM

Mint nyomtatva (lásd felső kép) ágyaztuk be és öntöttük meg a terciert. Természetesen ezt is kiszervezhettük volna SLM gyártásra (szelektív lézerolvasztásos gyártás – a ford.). A nyomtatott-öntött variáns előnye, hogy az illesztés és változtatás sokkal könnyebb a nyomtatott, műanyag fázisban.

66 e-Journal CAD/CAM
Ugyancsak lehetséges 3D nyomtatással – Gerber regisztrátum készítése. Tercier struktúra – a nyomtató CAM-programjában. A tercier struktúra nyomtatva, lemosva és végpolimerizálva.

A tercier struktúra ragasztása szájban (Panavia V5/Kuraray).

Az összeragasztott szekunderek bazális nézete. Az extrakemény ötvözetből mart szekunderek előnye a galván eljárásban készültekkel szemben, hogy a terciernek nem kell körülölelnie a széleket a merevítés érdekében. Ez tisztább, könnyebb műanyag leplezést tesz lehetővé, a tercier és az arany sapka közötti ragasztási hézag teljes fedését, ami plusz retenciót nyújt.

A kész munka első próbája a finomkorrekcióhoz. Az alsónál világosabb fogszín a páciens kívánsága volt.

összehasonlítása a set-up

terv STL adataival a QualityCheck szoftver segítségével

Végül az is érdekelt bennünket, milyen az egyezés a teljes anatómikus mintázat terve és az intraorális beolvasás adatállománya között, illetve mekkorák az esetleges eltérések. A QualityCheck szoftverrel (r2Dental/Remchingen) végeztettünk összevetést. A szoftver terv-valós érték összevetést végez, eltérés-analízist és háttérszámítást kimutatva.

Az eredmény: meglepődtünk, mennyire közeliek a számadatok. A számítás alapján nyert résnagyságértékek közel 30%a nagyon jó, 40 mikronos határon belüli. A nulla illeszkedéssel tervezett primerek szinte minden részén (a helyfenntartóval bevont okkluzális felszínen is) mértünk.

A mért elméleti értékek a tapintás alapján tapasztaltakat erősítették meg – amit a nyomtatott szekundereknél éreztünk a primereken a szájban.

Korábban mért, valós csiszolatok alapján galván és frézelt arany szekunderek készítésénél 12-43 mikron közötti értékek mutatkoztak. A tisztán digitális gyártású szekunderek paradigmái összemérhetőek a manuálisan készültekével. Az egymásra ellentétes hatással bíró hibalehetőségek sorozatában a folyamat úgy szabályozandó, hogy a végeredmény a munkadarab kívánt illeszkedése és súrlódása legyen.

A set-up és az intraorális szkennelés adatainak összehasonlítása rávetítéssel a QualityCheck szoftverben (r2Dental/Remchingen).

67 VI. ÉVFOLYAM – 2023. 2. SZÁM
Végső teszt – az intraorális szkennelés adatainak
A set-up 3D képe.

Eredmény és összefoglalás

Primerek szájban szkennelése, szekunderek CAD tervezése, frézelése, nyomtatása vagy maratása, behelyezése, gyűjtőlenyomat vétele az időközben párhuzamosan tervezett és elkészített tercierrel, összeragasztása a szájban, vagy –szükség esetén nyomtatott mintán – ez lehet a folyamat. A nyomtató ügyes – és típustól függően kedvező árú – eszköz, amellyel sok segédeszközt gyárthatunk, és vita nélkül a megfelelő szerszám STL adatállományon alapuló kedvező árú, valós tárgyak megvalósítására, amelyek sokkal többet érnek egyszerű bemutató eszköznél.

Úgy tűnik, nyomtatott mintákra, illetve csonkokra készített konstrukciók reprodukálható következtetések levonását teszik lehetővé a valós szájhelyzetről az illeszkedés és súrlódás kérdéskörében. Ennek előfeltétele persze, hogy az anyagspecifikus és illeszkedésre vonatkozó paraméterek egymáshoz képest is reprodukálhatóan vannak összerakva. Aki házon kívül készítteti az egyes elemeket, mindegy, milyen anyagról van szó, a kezdet kezdetén a gyártóval egyeztetve, óvatosan kell végigpróbálja a helyes paraméterek beállítását, amelyet aztán siker után vezérfonalként meg is kell őriznie. Ez persze elengedhetetlen feltétele minden fogorvos és fogtechnikusi együttműködésnek is –nem újdonság.

A kezelések így rövidíthetők, biztosabbá változtathatók, eredményük előre megjósolható, a felhasznált anyagok sokfélébbek lehetnek, az ülések száma csökkenthető.

A 3D nyomtató egyre inkább betölti a fogtechnikában is azt a szerepet, amit az iparban: kimondottan realisztikus prototípusok nyomtatója. Ha a megfelelő anyagok rendelkezésre állnak, és engedélyt is kapnak (2a szabvány szerinti hoszszú idejű stabilitás) a szájban alkalmazásra, akkor a kevésbé oldott, illetve igényes páciensek is optikailag akceptálható, funkcionális, hordható fogpótláshoz juthatnak.

Ha nem is hallják sokan ezt szívesen, de – akárcsak a bemutatott esetben – a páciens számára tolerálható esztétika ilyen munka formájában, ezzel a megoldással elgondolkodtatóbb. Megkérdeztük a pácienst, mit tenne, ha a nyomtatott set-up (a fogpróba modern formája – a ford.) amit a szájába próbáltunk, jobb optikai kinézettel, és elfogadható élettartammal - mint más fogyasztói termékek – sokkal olcsóbban elérhető lenne. A választ mindannyian ismerik a kedves olvasók. Létrejön egyszer csak majd a „napi viselet” a fogtechnikai termékeknél is? Ki tudja? De nem ez volt a témánk.

Nagyon köszönjük!

Köszönjük a C. Hafner cégnek, aki „próba- és hiba” tesztünk során támogatott bennünket a szekunderek készítésében. Köszönet Ralph Riquier fogtechnikusmesternek az r2Dental-tól a mérésekért és a QualityCheck szoftveres segítségéért. A legfőbb köszönet pedig a páciensnek mindenekfelett álló türelméért.

Forrás: Das Dental Labor 2019/12

68 e-Journal CAD/CAM
Minden jó – ha a vége jó. Ezúttal a sok bába között nem veszett el a gyerek! Balról jobbra: Dr. Jochen Früh (Bruchsal), Dirk Heeger FtM (kombident Zahntechnik/Eggenstein), Martin Weppler FtM (dentalgerade/Weigarten/Baden) és a nagyon türelmes páciens. A tálcán az „aranybefektetés” a régi fogsor formájában. Kis kép: Artur Kublik FtM (kombident Zahntechnik/ Eggenstein).

ClearQuartz™

Extraordinary sustained force

Remarkably comfortable

Fantastic tooth adaptation

Amazingly flexible

Truly, a leap ahead.

Outstanding tear resistance

Exceptional stain resistance

Optimized clarity

*

You asked for comfortable, durable, multi-layer aligners that feature sustained force, great clarity, and excellent tooth adaptation. Our answer: ClearQuartz™. We’re proud to present it to you, and we believe you’ll be proud to treat your patients with it.

480.529_en_A 09/20 *Compared to ClearCorrect aligners previously made from single-layer .030 (Zendura A) material. **Digital rendering, actual aligner samples available on request.
ClearQuartz for
to request a sample.
See
yourself: Visit info.clearcorrect.com/clearquartz
Introducing ClearCorrect’s third generation, state-of-the-art, tri-layer aligner material. **

Az eljárás több szempontból is hasznos:

előre, mit tervezünk a szájába. Ezzel egy időben

teszi a vertikális dimenzió kiértékelését, preparációjához is

hasznos: nem utolsósorban a páciens is láthatja időben a kinyomtatott Mock-up lehetővé kiértékelését, illetve végső soron a fogak is segítséget nyújt

TÖKÉLETES TERVEZÉS ÉS MEGVALÓSÍTÁS SLA-3D-NYOMTATÁSSAL

A szerzőcsoport olyan gyakorlati esetet mutat be, amelynek során komplex esztétikus rehabilitációt oldottak meg komputertámogatású tervezéssel és additív gyártástechnológiával (SLA-3D-nyomtatás).

A gipszminták szkennelése manapság a mindennapok része. Az ehhez használt szoftvereket folyamatosan fejlesz-

tik. Az intraorális szkennelés megnyitotta a fogászatban a teljesen digitális munkafolyamat végigvitelének lehetőségét. A rendelő és a laboratórium egyre több helyen kerül közös hálózatra, és a modern szoftver megoldásoknak köszönhetően egyre több hasznos eszköz áll rendelkezésükre a diagnózis felállítása, klinikai döntési folyamat és a nagy értékű gyártástechnológiák megsegítésére.

Röviddel ezelőttig a CAM-gyártás alapvetően szubsztraktív módon valósult meg (marással). Rengeteg marógép áll már rendelkezésre restaurációk készítésére a legkülönbözőbb alapanyagokból. A leggyakrabban fémeket, cirkónium-dioxidot, üvegkerámiákat és kerámiabázisú műanyagokat munkálnak meg ezekkel. A marási eljárás garantálja a standardizált módszert, amellyel nagy értékű restaurációk készíthetők nagy biztonsággal.

72 e-Journal CAD/CAM
Dr. Mauro Fazioni, dr. Roberto Molinari, Andrea Lombardo 1. ábra: Intraorális szkennelés (Primescan, Dentsply Sirona). 2. ábra: A kiindulási helyzet. Egy protetikai ellátáshoz fejlesztett Smile-Design szoftver segítségével előzetes morfológiai analízist végeztünk.

A szubsztraktív eljárásoknak is megvannak azonban a maguk határai. Függenek a behelyezési irány meghatározásától, a fréztechnika különösen nagy precizitásától, és hosszas, komplex utómegmunkálást igényelnek a munkadarabok is. Ezekből az okokból az utóbbi időben egyre nagyobb szerepet kapnak az additív eljárások – mint például a háromdimenziós nyomtatás. Ezeknek nincsen hasonló behatároltságuk, és nem függnek a gyártási folyamat során az eszközöktől (pl. marók). A sztereolitográfiás 3D nyomtatók (SLA) jelentik manapság az arany standardot a precizitás és sima felszínek készítése terén. Komplex morfológia esetén is – köszönhetően a pontról pontra

73 VI. ÉVFOLYAM – 2023. 2. SZÁM
történő polime- 3–4. ábra: A Smile-Design szoftveres terv részletei. 5. ábra: Az XFAB 2500 és XFAB 3500 PD nagy teljesítményű nyomtatók a DWS termékei – információk a nyomtatókról: www.trendgold.com. 6. ábra: A minta és a szilikon Mock-up nyomtatása. 7. ábra: A kinyomtatott restaurációk a páciens szájában. 8. ábra: A Mock-up intraorális használata.

rizációnak – nagy pontossággal adják vissza a tervet. Ráadásul az eljárás előre definiált színrétegzést tesz lehetővé, behatároltság nélkül, komplex restaurációformákhoz is (Photoshade-technológia).

A klinikai eset

A 45 éves hölgypáciens hiányos leplezésekkel rendelkezett a front- és rágóterületen is. Ezeket Amelogenesis imperfecta rehabilitatív ellátására kapta.

A következő eszközökkel végeztük a klinikai analízist:

• intraorális szkenner (Primescan; Dentsply Sirona, 1. ábra)

• digitális volumentomográfia (Orthophos SL 3D; Dentsply Sirona)

Az intraorális letapogatást követően egy Smile-Design szoftverrel („mosolytervező” – a ford.) előzetes morfológiai értékelést végeztünk (2–3. ábrák). Ezt integráltuk a komputertámogatású mintázásba és a protetikai ellátásba is (4. ábra)

A szimulációt követően elkészítettük a kezelési tervet. Az állcsont-morfológia rekonfigurálását terveztük sínek segítségével, majd a fogak konzervatív preparációját az intraorális szkennelésen alapuló terv megvalósításához.

A 3D nyomtató (XFAB 2500; DWS, 5.kép) szükséges „keresztmetszetet” képzett, így hamar elkészülhetett az intraorális lenyomat a diagnosztikus viaszmintázattal (6. ábra). Így egyetlen ülésben, néhány lépéssel elkészíthettük a digitális mintát, majd ezt a 3D nyomtatóval fizikai prototípusként

(DWS RD097 és DWS Temporis műanyagokból) realizálhattuk. Erre alapozva gyártottuk le a páciens szájába kerülő restaurációkat (7. ábra)

Az eljárás több szempontból is hasznos: nem utolsósorban a páciens is láthatja előre, mit tervezünk a szájába. Ezzel egy időben a kinyomtatott Mock-up lehetővé teszi a vertikális dimenzió kiértékelését, illetve végső soron a fogak preparációjához is segítséget nyújt (8. ábra). Minimalizálni lehetett a zománc-, illetve dentinveszteséget. Az intraorális szkennelés a kinyomtatott preparációs formákkal (9. ábra) a fogtechnikus számára is hasznos segítség a végleges leplezések elkészítésében (10. ábra), illetve azok finomhangolásában (11. ábra)

Forrás: Das Dental Labor 2020/4

74 e-Journal CAD/CAM
9. ábra: A fizikai minta és a preparációk. 10. ábra: A pótlások a mintán. 11. ábra: Az esztétikai végeredmény teljes megelégedésre szolgál.

LÉZERSZINTEREZETT VÁZAK 24

INGYENES

...és ami mögötte van biztos megoldás a fogászati szakma elérésére

ÓRÁN BELÜL •Gazdaságosság •Pontosság •Homogenitás •Gyorsaság www.lezerszinter.hu
SZÁLLÍTÁS! Próbamunkával kapcsolatban hívja a +36 20 366 1080-as telefonszámot!

Dr. Borbély Judit, Róth Lajos

SMILE UPDATE –A MEGÚJULT MOSOLY

A CAD/CAM eljárások gyors terjedésének és sikerének titka a precizitáson túl a korszerű anyagokban rejlik. A cirkonvázas restaurációkról lepattanó kerámialeplezés problémája, a gyakran csak korlátozottan rendelkezésre álló interokkluzális tér katalizálta a monolitikus cirkónium- dioxid anyagok fejlesztését. A digitális munkafolyamatok és az új CAD/CAM anyagok olyan lehetőségeket nyújtanak, amelyek teljesen átalakítják a fogpótlástanban hagyományosan alkalmazott eljárásainkat, ugyanakkor új kihívások elé állítják mind a fogorvosokat, mind a fogtechnikusokat.

A fotósorozattal szeretnénk bemutatni, hogyan lehet a mosolyt átalakítani monolitikus cirkónium-dioxid anyagok és a digitális technika lehetőségeit kihasználva. A hangsúly a kiszámítható végeredményen van. Az intraorális szkennelés a fogorvos és a fogtechnikus kezébe új lehetőséget ad: copy paste dentistry. A wax-upok, mock-upok visszaszkennelése és másolása lehetővé teszi a tervezett fogpótlások tesztelését, a kiszámítható esztétikai eredmény biztosítását. A korszerű digitális technika a megfelelő tudással és a manuális alapokkal párosulva új színt és korlátlan lehetőségeket biztosít a mindennapos munkánkban.

76 e-Journal CAD/CAM
77 VI. ÉVFOLYAM – 2023. 2. SZÁM
78 e-Journal CAD/CAM

The complete implant workflow – easiness with one software

Taking an implant plan to actual surgery is now easier than ever! From imaging to implant planning and guide design, all workflow steps can be controlled and completed in the Planmeca Romexis® software. Lastly, the guide can be easily and accurately created with Planmeca Creo™ C5 3D printer.

Magyarországi forgalmazó:

www.planmeca.com Sanitaria Kft. Rómer Flóris u. 34, Budapest 1024 HUNGARY +36 1 336 08 84, shop@sanitaria.hu, www.sanitaria.hu
Planmeca Romexis, Planmeca Viso Planmeca Emerald S Planmeca Creo C5
Romexis All-in-One-Software
80 e-Journal CAD/CAM

Előgyár tott csatlakozási felület több, mint 50 implantátum rendszerhez, a legpontosabb illeszkedési eredményér t

Már anodizált színezéssel is!

Olyan egyedi gingiva lefutású titán vagy cirkónium felépítmény, mely a koronális terület anatómiából visszaredukált részéből kerül kialakításra. Kiváló megoldás extrém ínymagasság, kornális magasság vagy akár szögeltérés esetén is!

1037 Budapest, Bécsi út 324. lab@dentguide.hu
82 e-Journal CAD/CAM
83 VI. ÉVFOLYAM – 2023. 2. SZÁM
84 e-Journal CAD/CAM

VEZESD ÁT CÉGEDET A XXI. SZÁZADBA a Pi dental START programjával

Most kamatmentes részletfizetésre elviheted saját marógépedet

l akár 12% kezdő részlettel

l akár 36 hónap futamidővel

l Nincs maradványérték az utolsó részlet kifizetéssel a tiéd a gép

l Ingyenes betanítás

l A Pi dentaltól megszokott késedelem nélküli szerviz szolgáltatás

Válassz futamidőt!

36 hónap

havi törlesztőrészlet

nettó: 139 440 Ft-tól Növekvő ütemű

24 hónap

havi törlesztőrészlet

nettó: 229 080 Ft-tól Növekvő ütemű

12 hónap

havi törlesztőrészlet

nettó: 730 400 Ft-tól Állandó

Ha nem vált be az elképzelésed, visszavesszük a gépet!

Az ajánlat a teljes CAD/CAM rendszerre is érvényes!

(Marógép, Szkenner, kiégető kemence, számítógép, induló készlet.)

Kérd részletes tájékoztatónkat a sales.pidental.@pidental.hu e-mail címen, vagy a 36 30 9643 721-es telefonszámon!

Könyvajánlataink

A Legfelsőbb Bíróság Polgári Kollégiuma az orvosi műhiba perek gyakorlatának á�ekintésérő szóló összefoglaló jelentésében rögzíte�e, hogy az élet, tes� épség és egészség sérelme mia� indíto� orvosi kártérítési perekben a bekövetkeze� hátrányokat, káros eredmény mia� érvényesíte� nem vagyoni kárigényeket a károsult vagy a saját egészségromlása, vagy saját jogán a hozzátartozójának halála, egészségkárosodása mia� érvényesí� azzal, hogy ezek a károsult esetében együ� is jelentkezhetnek. Ténybeli alapja lehet a szélesen ve� gyógyítás (orvoslás) során bekövetkeze� valamely hiba: általában a diagnosz�kus tévedés következményei, kezelési, műté� hiba akár tevőleges, akár mulasztásos magatartással, a tájékoztatás elmaradása vagy elégtelensége.

Magyarországon a műhibaperek során megítélt összegek folyamatosan emelkednek. A nyilvánosságra hozo� legmagasabb kártérítés eddig 55 millió forint volt, de folyamatban van olyan per is, amelynek tétje meghaladja a 80 millió forintot. A kérdésben érinte� jogászok véleménye szerint az oly sokat emlegete� 1997-es Egészségügyi Törvény hatályba lépése óta az orvosi felelősséggel kapcsolatos perek kétharmadát a betegek nyerik. Megjegyzendő hogy 2008-hoz képest 10%-kal nő� a műhibaperek száma, amely most 151, a folyamatban lévő ügyek vonatkozásában pedig 467 eljárásról beszélhetünk. (Forrás: EBF) Ezen ügyek megközelítőleg 17%-a tekintetében beszélhetünk ún. fogorvosperekről. Napjainkban az egészségügyi szolgáltatóknak – beleértve az intézményeket és a magánpraxist folytató orvosokat – egyre inkább számolniuk kell azzal a lehetőséggel, hogy a beteg vagy hozzátartozója, ha nem elégede� az ellátással, bíróság elő� keresi az igazát. Büntetőeljárás orvossal szemben ugyan lényegesen ritkábban indul, azonban ez talán még nagyobb lelki megterhelést jelent az érinte� orvos számára. A jogi helyzet �sztázására, a releváns szabályozás és a fogorvosi tevékenységet érintő űhibaperek bemutatására és értelmezésére hivato� a Fogorvosperek című kötet, amelyet közérthető megközelítése mia� elsősorban fogorvosok, szájsebészek, de jogászok, illetve a jog iránt érdeklődők is haszonnal forgathatják.

FOGORVOSPEREK

Hajdu Zoltán
Csak természetesen Fogászat és esztétika
Dr Forrai Judit
Fejezetek a fogorvoslás és eszközeinek történetébôl
FOGORVOSPEREK Ifj. dr. Lomnici Zoltán 4000 Ft 7000 Ft 3500 Ft 3500 Ft 3500 Ft 7000 Ft 3500 Ft A FOGÁSZATI IMPLANTOLÓGIA története Magyarországon Dr. Divinyi Tamás Fogaszati implantologia tortenete terv.indd 1 3500 Ft 2000 Ft 3500 Ft 5000 Ft 2500 Ft 2500 Ft DP Hungary Kft. 1012 Budapest, Kuny Domokos u. 9. Tel.: +36 30/472 0030, 06-1-793-1874 www.dental.hu Megrendelés: www.dental.hu/webshop Róth Lajos Fogpótlás.tan update 8750 Ft
A szerző

Csak természetesen

Fogászat és esztétika

A fogpótlások elkészítése mindig összetett feladatnak számított. Szakmai szempontok az elsődlegesek: stabilitás, funkció, illeszkedés, biológiai és kémiai megfelelőség. A fogorvos és a fogtechnikus is törekszik munkája során, hogy legjobb tudását, széleskörű ismereteit a lehető leghasználhatóbb, a páciens számára sikert garantáló formában építse be az elkészülő fogműbe. Tervezés, kivitelezés csakis akkor lehet sikeres, ha mindketten jól képzettek és felkészültek a szakmai munkában.

És mit észlel első sorban a páciens, a beteg? Az esztétikai megjelenést. Sőt, ma már gyakran azért megy a páciens a fogorvoshoz, hogy változtassa meg mosolyát. Nem azért, mert fáj a foga, vagy laikus szemmel is látható defektusai lennének. Mindannyian érezhetjük – fogorvos, asszisztens, fogtechnikus és páciens –, hogy nehezen megfogható, szakmai nyelvezettel nem minden esetben definiálható területről van szó. Az „esztétikus” mást jelent mindanynyiunk számára, még akkor is, ha látszólag egyről beszélünk. A páciens esetleg hófehér, szabályos fogakat ért alatta. A kezelőorvos hibátlan, korhoz illő megjelenést. A fogtechnikus természetes, a páciens típusára, korábbi megjelenésére jellemző fogakat készítene. Igazán jó, természetes, esztétikus restaurációt készíteni nem csak szakma – művészet is.

E könyv megismertet minket olyan emberekkel, akik technikai felszerelést, technológiát és kézügyességet ötvözve kifejezésre tudják juttatni művészi érzéküket. Mindannyiunk, a páciens, a kezelő-csapat és a fogtechnikus számára is érzékelhetően. Végül is ez a cél. Forgassák bizalommal, és ügyeljenek a részletekre.

Technikai információk:

méret: A4

Hasznos időtöltést kíván a szerkesztő: Hajdu Zoltán

• terjedelem: 291 oldal • kötés: keménytáblás • nyomás: színes, ofszet

Vizsga - sokaknak idegeskedést, félelmet, önbizalomhiányt okoz a szó. Nem egyszerű megfelelni mások elvárásainak, különösen, ha megítélésüktől sok függ későbbi életünkben.

Tovább bonyolódik a helyzet, ha gyakorlati vizsgáról van szó. Itt már a kézügyesség is számít, nem csak a megjelenés, a tudás – be kell bizonyítanunk, képesek vagyunk adott folyamatok elvégzésére. Mindezt idegen helyen, új, számunkra barátságtalan eszközökkel, többedmagunkkal, meghatározott időre... Könnyen belátható, miért remeg egy-egy vizsgázó keze.

A fogtechnika, mint hivatás, különlegesen összetett. Sokoldalú, több más szakmát felölelő ismeret együttesére van szükség – elméletben és gyakorlatban egyaránt.

A szerzők képzettségük és tapasztalataik alapján ismerik mind a szakmai, mind az emberi oldal nehézségeit, buktatóit. Könyvük célja a -segítségnyújtás. A cím - ,,Átrágtuk” - jól jellemzi hozzáállásukat: lelkiismeretesen, értelmezve, bemutatva.

Rendszerezett, intenzív előkészületeket biztosítanak. Bemutatják az adott munkafolyamatokat, lépésről lépésre. Szöveggel és képpel is bizonyítják számtalan vizsga rengeteg diákjának ismeretét, megfigyelését.

Megmutatják, előre jelzik, hol várható probléma - s segítenek azt már előre elkerülni. Felsorolják, és a gyakorlatban is demonstrálják, hogyan, mit kell csinálni, mire kell felkészülni -· sőt, a végeredmény objektív bemutatása bizonyosságot ad a felhasználóknak gyakorlás közben.

Kitérnek nem csak a feladatokra - még a szerszámok, anyagok, eszközök összeállításában is segédkezet nyújtanak.

A könyv kihagyhatatlan segédeszköz minden leendő és gyakorló fogtechnikus számára - bepillantást nyújt a német szakmai vizsga anyagába, minőségébe is. A briliáns képek és utalások még az esetleg hozzá nem értők számára is egyértelműek. Forgassuk minél többen, minél többet!

Technikai információk:

Hasznos olvasást és jó szórakozást kíván a szerkesztő: Hajdu Zoltán

méret: B5 • terjedelem: 160 oldal • kötés: keménytáblás • nyomás: színes, ofszet

Hajdu Zoltán

ELADOTT

Pi dental Manufacturing Co. Ltd. www.pidental.hu Pi dental Fogászati Gyártó Kft. H-1141 Budapest, Szugló utca 83–85. E-mail: sales.pidental@pidental.hu Telefon: +36 30 964 3721  1135 Budapest, Frangepán u. 66/B. Tel.: +36 1 236 4000 e-mail: info@newyorkdental.hu web: www.newyorkdental.hu facebook: New York Dental Hungary N E W YORK DEN T A L Telefon: +36 70 670 6875 shop.bionika.hu www.alphaimplant.hu A MINO˝SÉG A SIKER GARANCIÁJA ai_hird_47x69.indd 4 5/7/15 9:24 AM CEREC család a tökéletes megoldás GlobDent Kft. 1134 Budapest, Visegrádi u. 82/b. Mobil: 06-30 932-16-76 e-mail: globdent@vnet. hu www. globdent. hu Realtrade Kft. 1102 Budapest, Hölgy u. 9/b. Tel.: +36-1-261-6630 Fax.: +36-1-261-4348 E-mail: info@realtrade.hu shop.realtrade.hu www.realtrade.hu Széles körû praxis és laborkiszolgálás az Ön igényeihez igazítva! IPS e. m ax ® www.ivoclarvivadent.com Ivoclar Vivadent AG Bendererstr. 2 www.ivoclarvivadent.com Ivoclar Vivadent AG Bendererstr. 2 9494 Schaan | Liechtenstein | Tel.: +423 235 35 35 | Fax: +423 235 33 60 www.ivoclarvivadent.com Ivoclar Vivadent AG Bendererstr. 2 | 9494 Schaan | Liechtenstein | Tel.: +423 235 Egyre több amely egy megbízható náról, inly/onlay-ről, MŰKÖDIK www.ivoclarvivadent.com Ivoclar Vivadent AG Bendererstr. 2 | 9494 Schaan | Liechtenstein | Tel.: +423 235 35 35 IPS
ax all ceramic all you need “
több
fogorvos
biztosít.
igazolja
inly/onlay-ről, leplezésről, abutmentről
* ALL-CERAMIC MERT MŰKÖDIK www.ivoclarvivadent.com Ivoclar Vivadent AG Bendererstr. 2 | 9494 Schaan | Liechtenstein | Tel.: +423 235 35 35 | Fax: +423 235 33 60 LEZERSZINTER.HU • 3D lézerszínterezett vázak • Gyorsan tökéletes minőségben
Remanium star anyagból Tel.: 06-20-366-10-80 www.lezerszinter.hu
Ha fúr-farag, akkor BREDENT DFS EDENTA KKD TOPDENT Fogászati kidolgozó
Ez az Ön hirdetésének a helye! Tel.: 06-30-472-0030 06-1-793-1874 info@dental.hu Straumann GmbH Magyarországi Fióktelepe 1016 Budapest, Hegyalja út 7–13. COMMITED TO SIMPLY DOING MORE FOR DENTAL PROFESSIONALS
e. m
Egyre
és több
és fogtechnikus amely egy klinikailag tesztelt all-ceramic megbízható erősséget
Ezt
náról,
szakemberek döntésében és válassza az A LEGTÖBBET
1077 Budapest, Izabella u. 10. Tel.: 06-1-223-3999, info: 06-30/944-1441 www.dentaldiszkont.hu
eszközök és anyagok a legnagyobb választékban, a legkedvezőbb áron. Raktárról azonnal szállítunk. Viszonteladóknak nagy kedvezmények.

Turn static files into dynamic content formats.

Create a flipbook
Issuu converts static files into: digital portfolios, online yearbooks, online catalogs, digital photo albums and more. Sign up and create your flipbook.