2023. VI. évfolyam
3. szám

2023. VI. évfolyam
3. szám
A FOGÁSZAT INFORMÁCIÓS MAGAZINJA
www.dental.hu
„Feladatunk, hogy a fogorvos-generációnak utat mutassunk...”
Varázslatos nagymetszők a Smylist Módszer tükrében
Súlyos torlódás kezelése premoláris extrakciók nélkül
Fogászati-szájsebészeti vonatkozások biszfoszfonát kezelésen átesett betegek esetén
A bakteriális zárás Er,Cr:YSGG és/vagy Nd:YAG lézerek alkalmazásával történő optimalizálása
A 10 éves Alpha Implant Kft. a hagyományos munkafolyamatok mellett a digitális workflow minden lépésére megoldást kínál. A digitális technika fejlődése a fogászati piacon is egyre nagyobb teret hódít. Ebben nyújt
segítséget a 6 lépésből álló Alpha Digital Workflow, amely az intraorál scanneléstől a kész fogmű behelyezéséig terjed. Ne zárja magát keretek közé, lépjen az Alpha Implant Kft.-vel a Digitális Szabadság Világába!
2023-ra a fogászati szektor – reményeink szerint – fel tudja dolgozni a Covid-19 okozta nehézségeket, a háború mellett elszabaduló inflációt, és már tervezi az idei év fejlődési lehetőségeit. Mindannyian abban bízunk, hogy időben alkalmazkodni tudunk majd a változásokhoz, és stabilan tudjuk vezetni a vállalkozásinkat!
A tavalyi év sokunk életében hozott különböző nehézségeket, mégis elmondhatjuk, hogy mindenképp jobb volt, mind a 2020-as és a 2021-es esztendő, amikor a létbizonytalanság, a járványtól való félelem uralta a napjainkat. Az idegenforgalom szépen megindult, de a korábbi számok, a vendégéjszakák még nem érik el a 2019-es év adatait.
A nagy rendelők már próbálnak teljes kapacitással üzemelni, a fogtechnikai laborokban is visszatért a folyamatosság, a fogászati kereskedők jelentős része pedig jobb évet zárt 2022-ben, mint korábban.
A fogászati rendelők és fogtechnikai laborok az elmúlt 2-3 évben főleg a fejlesztéseket állították előtérbe, amelyhez számos pályázat és egyéb forrás is kedvező konstrukciókat kínált. 2023-ban – tudomásunk szerint – is lesznek új pályázati források, melyekről a kereskedelmi vállalatok részletesebb információkat tudnak adni. Az új források bevezetése idén már bizonyosan ismét növekedési spirálba helyezi majd ezt a szektort!
Az infláció elérte a fogászati ágazatot is, a vállalkozások az euro változásától, gyengülésétől függően azzal találkoznak, hogy az árak – a mindennapi élet mellett – itt is jelentősen és folyamatos változnak, emelkednek. A fogászati rendelők is kénytelenek az áraikat emelni, egyre több rendelő, ún. „piaci alapú” árképzést vezet be. A folyamat kimenetelét még nem lehet pontosan látni, a munkaerő fluktuációja, az Európai Unió áraihoz képest alacsony magyar fogászati beavatkozások értéke - jelenleg még nem érte el a drágulás csúcspontját. Az elmúlt időszakban számos újság, cikk foglalkozott a fogászati szektorban található extra drágulási folyamattal. Ez egyelőre - a hazai rendelőkben - még nem mutatott jelentős problémát, új hívószavakkal, sok marketing munkával, reklámmal most a magyar lakosságot kell határozottabban a rendelőkbe invitálni!
Tavasszal újra megrendezzük a néhány évig elhalasztott Upgrade Congress-t, melyet a Hungexpo
új Konferencia Központjában tartunk. A 2 napos rendezvényen elsősorban magyar előadók állnak ki a pódiumra, összesen 36 előadást tartunk, 4 témakörben, melyek az Esztétika&Endodontia, Implantológia, Prevenció és Digitális&Ortho. A rendezvény mellett szakkiállítást is szervezünk, díjmentes kávézóval és számos egyéb programmal.
Idén már 23. éve nagy energiával szervezzük, és sok munkával készülünk az őszi Dental World Nemzetközi Kongresszus és Szakkiállítás sikeres lebonyolítására, melyen reméljük, hogy az egész fogászati szakma képviselteti majd magát! Nemzetközi szinten is ismert/elismert előadók, gyakorlat-orientált képzések, továbbá sok új élmény is várja majd a látogatókat, az érdeklődőket!
A kiadó bizakodva tekint a jövőbe, a megújult tartalmaink kapcsán sok pozitív visszajelzést kapunk, melyeket nagyon köszönünk! Az elmúlt években - a nehézségek ellenére is - növelni tudtuk a kiadványaink, a magazinjaink számát, nem csökkentve azok tartalmi minőségét. 2020 óta a tematikus e-Journalok is folyamatosan megjelennek, melyek egyfajta online könyvtárként is szolgálnak az olvasóinknak. A dental.hu oldalon díjmentesen elérhetőek a korábbi tematikus online lapszámaink is.
A mostani kiadványunkban az általános fogorvosi eljárások témakörével foglalkozunk.
Jó olvasást kívánok!
Laczkó Tamás, felelős kiadó
E-Journal VI. évfolyam, 2023. 3. szám
Kiadja: DP Hungary Kft.
1012 Budapest, Kuny Domokos u. 9.
Felelős kiadó: Laczkó Tamás
Főszerkesztő: Dr. Riba Magdolna
Előkészítés:
DP Hungary Kft., Sárközi András e-mail: grafika@dental.hu
Információ, hirdetésfelvétel:
Bárdos Veronika, telefon: 06-30-472-0030, 06-1-793-1874
Az újság e-mail címe: info@dental.hu
Az újság internetcíme: www.dental.hu
Terjesztés: E-mail hírlevél formájában.
A tudományos közleményeket a szerkesztőség lektoroknak adja át véleményezésre. Közlés csak egyetértő lektori vélemény, illetve a javasolt módosítások elvégzését követően lehetséges.
A cikkek szerzői vállalják, hogy az általuk elküldött írás saját forrásból származik, illetve a felhasznált anyagokat (publikációkat, illusztrációkat, képeket stb.) mindenkor pontosan feltüntetik. Írásaiknak jogi és egyéb adatvédelmi kérdéseiben felelősséget vállalnak.
A német nyelvű szakmai cikkeink magyar fordítását az Oemus Media AG Kiadó engedélyével szerkesztettük lapunkba. A fel nem használt kéziratokat, fotókat nem őrizzük meg, és nem küldjük vissza.
A hirdetések tartalmáért nem vállalunk felelősséget. A gyártó, illetve forgalmazó cégek kérésére közzétett cikkeket keretbe foglalva közöljük és (x)-szel jelöljük, azok szakmai tartalmáért a szerkesztőbizottság nem vállal felelősséget.
ADENTALPRESSTEMATIKUSKIADVÁNYA
2022 / III.ÉVFOLYAM–ÁR:2500FT
pot az orvoskamara kifejezésével élve: „irányítási-igazodási válság” –, amiben az egészségügy járvány eleje óta őrlődött két tárca között. Igaz, sokan csalódtak, hogy az új kormányban sem lesz egészségügyi minisztérium. Őket friss ágazati egyik első megszólalásakor azzal vigasztalta, hogy az egészségügy érdekérvényesítő képességét nem az önálló minisztérium erősíti, hanem a mi
niszter személye.
bilitás érzetét erősítheti, mivel
Tanulmányozd először az elméletet, aztán jöjjön a gyakorlat, mely belőle származik
„A helyreállító fogászat lett a szenvedélyem és a mindennapi munkám”
Hagyományos teljes fogsor hatékony átalakítása
Teljes ívű rehabilitáció primer vázra ragasztott lítium-diszilikát szekunder koronákkal
Prof. dr. Nagy Katalinnal beszélgettünk életútjának fontosabb
Prof. dr. Nagy Katalin a Szegedi Tudományegyetem Fogorvostudományi Kara Szájsebészeti Tanszékének tanszékvezető egyetemi tanára, a Kar volt dékánja, a Magyar Rektori Konferencia Nemzetközi Bizottságának volt elnöke és az egyetem korábbi nemzetközi ügyekért felelős rektorhelyettese, a Magyar Fogorvosok Egyesületének elnöke, több, döntéshozó hazai és nemzetközi szakmai fórum képviselője, 2019-től az MTA doktora, valamint a Kolumbiai Köztársaság tiszteletbeli konzulja.
Amikor készültem erre a találkozásra, elolvastam azoknak a beszélgetéseknek az anyagát, melyeket több mint tíz esztendővel ezelőtt készítettem. Jelentős események kapcsán került sor ezekre az interjúkra. 2006-ban Ön lett az egyetem Fogorvostudományi Szakának új vezetője, 2007-ben köszönthettük, mint hazánk „legfiatalabb” Fogorvostudományi Karának dékánját.
Gondolom, sok minden történt az elmúlt évtizedben. Először arra kérem, tekintsünk vissza, hogyan alakult az élete, amikor eldöntötte, hogy fogorvosként képzeli el jövőjét, majd a diploma megszerzése után (1982) milyen út vezetett a dékáni cím eléréséhez?
1977-ben Budapestről költöztem Szegedre, amikor is a mai SZTE jogelődjére, a Szegedi Orvostudományi Egyetem Általános Orvostudományi Szakának fogorvosképzésére nyertem felvételt. Az azóta eltelt idő bizonyította, hogy az egyetem olyan munkahely, és Szeged egy olyan város, ahol érdemes hosszú távon tervezni. Ezt a döntést a mai napig nem bántam meg.
Summa cum laude minősítéssel végeztem el az egyetemet, ezt követően a Szegedi Klinikán kaptam állást, ahol az első szakvizsgámat a Fog- és Szájbetegségekből tettem. Ezután szinte a „ranglétra” összes állomását bejártam, majd időközben újabb szakvizsgákat szereztem Konzerváló Fogászatból és Fogpótlástanból és Dento-alveolaris sebészetből, később az új szakvizsgarendszer keretén belül Fogpótlástanból és Orális Implantológiából.
1984-1989-ig klinikai orvos voltam a Szegedi Tudományegyetem Általános Orvostudományi Karának Fogászati és Szájsebészeti Klinikáján, utána lettem tanársegéd (19891992-ig), majd osztályvezető-helyettes adjunktus az egye-
tem Általános Orvostudományi Kar Fogászati és Szájsebészeti Klinika, Maxillo-faciális Rehabilitációs Osztályán (19972001), és ugyanitt később osztályvezető egyetemi docens. 2007-től változatlanul ezen az osztályon tanszékvezető egyetemi docensként dolgoztam, de már dékánként, a Szájsebészeti Tanszéket vezetve.
Egyetemi tanári kinevezésem egybeesett az önálló Fogorvostudományi Kar létrehozásával. Ez a folyamat jórészt Fazekas András Professzor Úrnak köszönhető, akinek elévülhetetlen érdemei voltak a Kar létrehozásában, és ami szükségesnek mutatkozott a budapesti, majd a debreceni Karok korábbi megalakítását követően. Kollégáimmal elsődleges célunk volt, hogy a mindig is kiváló képzést nyújtó képzőhely a nemzetközi porondon is megjelenjen. Igyekeztem nagy hangsúlyt fektetni a Kar nemzetközi láthatóságának növelésére, és ez úgy érzem, sikerült is.
A tanulást, ismereteinek állandó bővítését mindig nagyon fontosnak tekintette. Néhány évet külföldi tanulmányutakon töltött. 1992-94 között vendégoktató volt az Eberhard Karl Egyetemen (Tübingen) Németországban, majd kutató ösztöndíjas az Eastman Dental Institue-n Londonban. Később Fulbright Ösztöndíjat nyert el az Egyesült Államokbeli New Yorkba, amit egy UICC ösztöndíj követett Los Angelesbe. Ezekben az években szerzett ismeretei, tapasztalatai miként befolyásolták a további szakmai irányultságát?
Külföldi tanulmányútjaim alatt más országok fogászati ellátásának színvonalával, kutatási eredményeivel ismerkedhettem meg, melyek itthoni alkalmazása szintén pácienseim érdekeit szolgálta. Az említett német és angol oktatói-kutatói tapasztalatokat nem csupán fontosnak, hanem nélkülözhetetlennek tartom egy szakmai fejlődés és a nyelvi készség fejlesztése során. Kari vezetőként is arra törekedtem, hogy a hallgatók és a fiatal kollégák minél nagyobb arányban vegyenek részt külföldi tapasztalatszerzésben, majd hazatérve ezeket a szegedi Kar érdekében kamatoztassák.
1999 is fontos év volt az Ön életében, hiszen egyeteme ekkor ismerte el oktatói, előadói és tudományos tevékenységét a „habilitált doktor” címmel. Ezt megelőzően készített doktori dolgozatának mi volt a témája?
Végzésem (1982) óta tudományos érdeklődési területem a hazánkban sajnálatos módon igen gyakori szájüregi daganatok felé irányult, melyhez szorosan kapcsolódik a fogorvos szerepe a dohányzási szokások megváltoztatásában. Örömömre szolgál, hogy ez a terület nem csak saját kutatási pályámat határozta meg, de néhány kollégám Ph.D. fokozatát is elősegítette, tehát az utánpótlás-nevelésben is szerepet játszott.
Egyetemi tanárként az oktatás és tudományos munka egyensúlyát miként tudta/ tudja megtartani?
Ma már nem a laboratóriumi kutató munka jelenti a fő feladatot, ahogyan ez pl. 20 évvel ezelőtt történt, amikor külföldön, ösztöndíjasként, napi 8 órát álltam mikrobiológiai laborban. Mostani feladatunk az, hogy a fogorvos-generációnak utat mutassunk, milyen karriert lehet maguk elé tűzni, és nagy szorgalommal el is érni ebben a szakmában. Oktatóként arra törekedtem, hogy olyan kollégákat sikerüljön megnyerni és az egyetemen tartani, akik e gyönyörű szakma elméleti és gyakorlati részét is művelve, a fogorvosi iskola jövőbeni építőköveivé válhatnak. Mint tudjuk, a fogászat területén, ahol a privát ellátásnak régóta hatalmas jelentősége van, nem könnyű! Úgy érzem, az általam vezetett Szájsebészeti Tanszék erre jó példát kínál, hiszen oktatási, betegellátási téren is kiemelkedő teljesítményt nyújt.
Egyetemi oktatóként régóta alkalmam van a szakma gyakorlásán kívül a fiatal generáció nevelőmunkájában történő részvételre is, mely szakmai tapasztalataimat messzemenően gyarapította.
Nehéz lenne felsorolni azt a rendkívül széles körű munkát, melyet Európában és azon kívüli országokban (pl. Amerikában), illetve itthon végez különböző tudományos testületek tagjaként, ahol rendszeresen tart előadásokat, továbbképzéseket. Az itt szerzett gazdag tapasztalatait hogyan tudja beépíteni a hétköznapok munkájába?
Véleményem szerint a külföldi tapasztalat minden oktató és még inkább minden vezető feladata és egyben kötelessége is, hiszen ezek nélkül, kizárólag saját közegünkben dolgozva nincs lehetőségünk a „megmérettetésre”. Nekünk nem egy közvetlen kollégával kell magunkat összehasonlítanunk, hanem a nemzetközi mércét szem előtt tartva dolgoznunk, hiszen csak ez biztosít folyamatos, magas színvonalú fejlődést a szakmában.
2018-ban a Magyar Fogorvosok Implantológiai Társaságának elnöke lett. Kérdésünkre akkor lapunknak a következőket mondta: „Célunk az implantológia tudományának és gyakorlatának készségszintű bevezetése a graduális oktatásba”. Mi történt azóta?
Ez nem csak megvalósult, de túl is haladta ezt, hiszen mára - Európában is igen ritka módon - postgraduális, ráépített szakvizsga létrahozásával is büszkélkedhet a Magyar Fogorvosok Implantológiai Társasága. Fel kell azonban hívnunk a figyelmet a diploma utáni folyamatos szakmai képzésre,
mely nélkül senki sem gondolhatja, hogy ebben a rendkívül gyorsan fejlődő szakmában magas minőséget produkálhat majd.
Az elmúlt évtizedek olyan fejlődést hoztak a fogászatban, hogy a graduális oktatás 5 éve biztosan nem lesz elég a lényegesen megnövekedett információ elsajátítására. Ahhoz, hogy a konvencionális módszerek oktatását ne kelljen törölni és helyükbe léptetni az új technikákat, a postgraduális képzés folyamatosságát tartom elengedhetetlennek. A fiatalok ilyen irányú igényének kell növekednie ahhoz, hogy végzésüket követően a folyamatos továbbképzést fontosnak érezzék, és tegyenek meg mindent ennek érdekében. A bel- és külföldön megszerzett tudás olyan befektetés, mely hosszú távon, többszörösen megtérül.
Ha jól számolok, Ön több mint huszonöt éve különböző vezetői pozíciót is betölt. Már osztályvezető-helyettesként is felelősségteljes munkája volt, dékánként pedig az egész Kar életét, jövőjét jelentősen meghatározó döntéseket kellett meghoznia. Ön szerint, a vezetői munka milyen energiákat mozgósít, illetve mennyiben más, mint bármilyen felelősségteljes tevékenység?
Felfogásom szerint a vezetői pozíció elsősorban a feladatok sorának megoldásából, a megoldásokhoz egy csapat kiépítéséből, majd annak összetartásából áll. Tehát igen komplex, és feltétlenül egész embert igénylő feladat, tele sok csalódással, de még több örömmel, így végső soron feltétlenül megéri, különösen, ha az ember nem „főnök”, hanem „vezető” szeretne lenni. Személyes példamutatás nélkül egyik vezető sem várhatja el, hogy tartósan kövessék.
Az egyetem nemzetközi ügyekért felelős rektorhelyetteseként feladata a külkapcsolatok erősítése, a magyar felsőoktatás népszerűsítése volt. A célokról, és az elért eredményekről hallhatnánk valamit?
A fogorvosi területen szerzett nemzetközi tapasztalataimat Szabó Gábor rektor úr felkérésére rektorhelyettesként igyekeztem az egész Szegedi Tudományegyetemre kiterjeszteni. Ezekben az években mind a külföldi hallgatói létszám, mind pedig a Szegedi Tudományegyetem nemzetközi láthatósága jelentősen növekedett, így a feladat megoldását sikeresnek tartom.
A csaknem 15 éve rendezett szegedi, nemzetközi konferencia gondoskodik arról, hogy
a világ minden részére eljusson a Szegedi Tudományegyetem és az ottani fogorvosképzés híre.
Az igen összetett napi feladatai mellett igazán jelentős közéleti tevékenységet is végez. Egyetlen területet emelnék csupán most ki, a Magyar Rektori Konferencia Nemzetközi Bizottságának elnöke is volt. Milyen új feladatokkal járt ez Ön számára?
A Magyar Rektori Konferencia Nemzetközi Bizottsága 2014ben választott elnökévé. Itt ellenszolgáltatás nélkül, de teljes szakmai odaadással dolgoznak az egyes bizottságok és azok elnökei. Úgy érzem, a magyar felsőoktatás egyik bizottságának elnökévé válni egy olyan szakmai elismerés, melyért önmagában is érdemes tovább dolgozni.
A nemzetközi érdeklődés a későbbiekben sem hagyott alább, melyet a Magyar Fogorvosok Egyesületének elnökeként igyekszem folytatni. Az MFE eddig kialakított kapcsolatrendszere lehetővé teszi, hogy kölcsönös együttműködést építsünk ki a nemzetközi egyesületek között, amire az elmúlt időben több példa is volt.
Megemlítem még, hogy fél éve kimagasló megtiszteltetés ért: kineveztek a Kolumbiai Köztársaság tiszteletbeli konzul-
PERSPEKTÍVÁK A PARO-IMPLANTOLÓGIÁBAN ÉS A KOMPREHENZÍV FOGÁSZATBAN
Szeged, 2023. május 4 – 6.
2023. MÁJUS 4.
HANDS-ON WORKSHOP a világhírű
Tiziano Testori professzorral 2023. MÁJUS 5 - 6.
KREDIT PO NT 16
ELŐADÓK:
ALESSANDRO POZZI Olaszország
ANDREA MOMBELLI Svájc
AUDREY CAMILLERI Málta
GERMAN GALLUCCI USA
HANDE SAR SANCAKLI Törökország
KONGRESSZUSI INFORMÁCIÓK: Régió-10 Kft.
RÉGIÓ
KREDIT PO NT 32
MILADINOV MILOS Románia
SERHAT ASLAN Törökország
TIZIANO TESTORI Olaszország
TOMAS LINKEVICIUS Litvánia
ZIV MAZOR Izrael
HELYSZÍN:
6722 Szeged, Szentháromság utca 19. +36 62 710 500
info@regio10.hu www.symposiumszeged.com www.facebook.com/SymposiumSzeged
Szegedi Tudományegyetem
József Attila Tanulmányi és
Információs Központ
6722 Szeged, Ady tér 10. www.u-szeged.hu/tik
jává, mely diplomáciai megbízatás is a Kar és az Egyetem nemzetközi láthatóságát segíti majd elő.
Oktatói, vezetői és tudományos munkavégzése mellett a gyógyítás, a betegellátás milyen súllyal szerepel a hétköznapok során?
Egy orvosnak, fogorvosként is, mindig elsődleges a betegellátás. Úgy érzem, ezt semmilyen vezetői beosztás mellett sem szabad abbahagyni, hiszen akkor nem csupán a betegektől kerülünk távol, de közvetlen kollégáinktól és napi problémáiktól is. Be kell azonban látni, hogy egy bizonyos kor után a betegellátás rendkívüli precíziót igénylő részfeladatait át kell adnunk a fiatal generációnak.
A fogászat rendkívüli fejlődése megkívánja a specializációt, valamint olyan team-munkában való betegellátást, ahol a team tagjai saját szakmaterületük legjobbját tudják az adott páciensek nyújtani. Ebben is nagyon szerencsés vagyok, hiszen olyan csapatban folytathatom betegellátási feladataimat, melynél biztos lehetek abban, hogy a páciens számára, kollégáimmal együtt a szakmailag legkiválóbb megoldást tudjuk nyújtani.
Sokirányú munkájának értékét különböző kitüntetések sora is jelzi. 2014-ben megkapta a Batthyány-Strattmann László, a Magyar Köztársaság Életmű díját és a Szeged Nemzetközi Kapcsolatainak építéséért díjat is. 2015-ben Árkövy
Emlékérem és Jutalomdíj kitüntetettje lett, majd 2021-ben átvehette a Semmelweis díjat is. Mit jelentettek/jelentenek Önnek ezek az elismerések?
A hivatalos elismerések mindenki számára pozitív energiákat adnak, én is megtisztelve éreztem magam. De eredeti pályámra visszatekintve a legnagyobb elismerés számomra mindig az új elsőéves hallgatók megérkezése volt, majd néhány év elteltével az ünnepélyes diploma kiosztása jelentette. Egy új fogorvos-generáció útra bocsájtása számomra minden hivatalos elismerésnél többet ért. Ilyenkor – bevallom – mindig meghatódtam.
Napjainkban olyan óriási léptekkel fejlődik az orvostudomány minden területe, így pl. az implantológia is. Eddig szinte elképzelhetetlen eljárások, új műtéti technikák, rendszerek és anyagok kerülnek be a hétköznapok gyakorlatába. Ön szerint mit hozhat még a jövő?
Ahogyan említettem korábban, véleményem szerint a fogorvostudomány az orvostudomány egyik legrohamosabban fejlődő ága. Ezt a fejlődést, és a már említett specializációt, csak a kollégák által hasonló ütemben végzett elméleti és gyakorlati továbbképzések tudják utolérni. Erre szolgálnak azok a tanfolyamok, melyekből mindenkinek ki kell vennie a részét ahhoz, hogy megfelelő színvonalú ellátást tudjon biztosítani. A korábban elfogadott új szakvizsga-rendszer is ezt a változó, specializálódó szakmai irányt igyekszik követni. Nemrégiben megválasztottak a „Global Digital Dentistry Society Board” tagjává, mely nem csak elismerés, hanem
rengeteg új feladat is. Hiba lenne azt hinni, hogy a fogászat digitalizációja a „jövő”, ugyanis ez már a „jelen”, mellyel lépést kell tartanunk ahhoz, hogy az új fogorvos-generációt aktuális tudással bocsájthassuk útjára.
Hallhatnánk még a jövőre vonatkozó terveiről?
Szakmai szempontból elsődlegesen az általam vezetett Tanszék munkájának szervezését, az ott dolgozó fiatal kollégák munkakörülményeinek javítását és fejlődésük biztosítását igyekszem megteremteni. Ezzel párhuzamosan kiemelkedő célom még a Magyar Fogorvosok Egyesületének nemzetközi láthatóságát növelni, melynek csak egyik, de igen fontos eszköze az évente megrendezendő, méltán mondhatjuk, az egyik legnagyobb presztízsű hazai konferencia megszervezése, melynek híre már évek óta a határokon túlra is eljutott. És természetesen, magánemberként is rengeteg célom van még, a „bakancslistám” igen hosszú, örömmel tekintek a privát célok megvalósítása elé is.
Mivel tölti legszívesebben – ha van ilyen – a szabadidejét? Szabadidőm gyakorlatilag nem sok van, igyekszem rendszeresen sportolni és hétvégeken azért a főzésre és egy kis olvasásra is jut idő. Élvezem a munkám, az új feladatok feltöltenek energiával, így csak ritkán fáradok el, kevés pihenésre van szükségem. A fiatal, tehetséges kollégák munkáját elnézve, konferenciákon meghallgatva kiváló előadásaikat, büszkén tekinthetünk a jövő elé, a magyar fogászat jó úton halad, és rendkívüli mértékben fejlődik.
„Crescit sub pondere palma!” (Teher alatt nő a pálma!) – e régi latin bölcsesség jutott eszembe beszélgetésünk során, hiszen az újabb és újabb feladatok, kihívások Önt mindig további tanulásra, tudása bővítésére ösztönözték, majd eredményekhez, sikerekhez vezették.
Professzor Asszony! Köszönöm az érdekes és tanulságos beszélgetést! Szerkesztőségünk nevében tisztelettel gratulálok az utóbbi esztendőkben elért kimagasló elismerésekért, kívánom, hogy életét, munkáját a továbbiakban is céljainak, terveinek a megvalósulása kísérje!
Kónuszos felépítmény kapcsolat
Kisebb mikromozgás
Erősebb és egyenletesebb csatlakozás
Platform switching
Várjuk szeretettel a 4 DÍJMENTES élményhelyszínen a
Találkozzon az alábbi előadókkal a Live Demo és a Dental Aréna helyszíneken: Dr. Alexander Tzovairis, dr. Antal Márk, dr. Baktai Zoltán, dr. Borbély Judit, dr. Borzási Imre, Bozsányi Lajos, Domonkos Szilárd, dr. Döbrentey Zsolt, dr. Dumitru Muntean, dr. Fráter Márk, Kónya János, dr. Luigi Canullo, Modor Gergely, dr. Róth Ivett, dr. Takács Ildikó
Jelentkezzen március 20-ig
weboldalunkon: upgradecongress.hu
március 21-től már csak személyesen, a rendezvényen lesz erre lehetősége
Mini színpadon gyakorlati bemutatók, többféle területen Talkshow az előadókkal kiállítás 2 napja alatt!2023. március 24., péntek 10.00–16.00
• Hatványozottan növekszik az elégedetlen páciensek és a praxisokat érintő támadások száma!
• Hogyan kezdődnek és hogyan végződnek ezek, mit kell tennie ahhoz, hogy meg tudja védeni saját magát és alkalmazottait?
Flexi-Dent szoftver felhasználóknak
25% kedvezmény
• Ismerje meg, hogy pontosan milyen kötelmeket jelent az Egészségügyi Törvény, milyen módon kellene tájékoztatni a pácienseket és milyen adminisztrációt kell végeznie a szabályos működéshez.
• Legyen átfogó képe az automatizált dokumentum menedzsmentről, elektronikus dokumentum kezelésről és elektronikus aláírásról!
Előadnak:
Részvételi díj: 25 000 Ft
Jelentkezés: upgradecongress.hu
Restoring and maintaining the cervical profile around dental implants with anatomical abutments
Cervical profile generation in post extraction sockets (CSP technique) along and in edentulous sites.
Tips & tricks for cervical contour generation around dental implant.
Szeretettel várjuk az Upgrade Kongresszuson MIS hands-on kurzuson!
Előadó: Dr. Alexander Tzovairis
Dátum és időpont: 2023. 03. 25., 14:00-16:30
Helyszín: Hungexpo, C pavilon, galéria, G terem
Ár: EUR 300/fő
Jelentkezés: www.front-dent.hu, tarsoly.csenge@frontdent.hu
2023. március 24., péntek
19.30–01.00
Program:
19:30 kapunyitás, asztalfoglalás, welcome koktél
Hász Eszter-Gáspár Károly duó zenél az este alatt
20:00 köszöntő, büféasztalos vacsora ínyencségekkel
20:30 revüműsor
21:30 élő koncert – Rubor Labii zenekara (dr. Benyőcs Gergely, dr. Mócz András, dr. Siklós Csaba, dr. Sidó Levente)
23:30 funkypop & dance
Helyszín: Orfeum, a Pesti Mulató, 1073 Budapest, Erzsébet körút 43-49.
Hogyan kezdj azonnal dolgozni a ClearCorrect alignerekkel, a Straumann Group piacvezető prémium aligner rendszerével?
A jövő már ma elérhető: a clear alignerek helye és szerepe a praxisban. Kezd el már holnap az első esetedet! ClearCorrect workshop Dr. Daniel Neves-el az azonnali induláshoz.
Vegyél részt a kurzuson, ahol a Világ vezető ClearCorrect specialistájától sajátíthatod el többek között az alábbi ismereteket:
• Hogyan bővítsd ki a rendelőt egy olyan szolgáltatással, amelyet a páciensek már jelenleg is aktívan keresnek.
• Hogyan válaszd ki a megfelelő kezdő esetet.
• Lepésről – lépésre megmutatjuk hogyan kezd el a kezelést.
• Hogyan legyél magabiztos a prémium minőségű ClearCorrect aligner rendszer használatában.
Légy részese te is a digitális fogszabályozásnak, az induló tudást most megadjuk a kurzusunkon, és regisztrálj a Dr. Portal-ra nálunk a helyszínen!
*A kurzus ára: 29.900 Ft Oklevelet adunk a kurzus elvégzéséről.
Időpont: 2023. 03. 25., 14:45-17.00-ig 1. emeleten
*A kedvezmény a regisztrációt követő első, április 30-ig feltöltött, megtervezett és megrendelt esetre vonatkozik (több eset is feltölthető.)
(Tervezés: 3-5 munkanap / terv változtatása: 2-3 munkanap / gyártás: 10 munkanapon belül történik.)
Dr. Daniel C. Neves „The future is now: clear aligners as a reality in your practice!”Dr. Daniel C. Neves
Remarkably comfortable
Fantastic tooth adaptation
Extraordinary sustained force
Exceptional stain resistance
Amazingly flexible
Truly,
a leap ahead.*
Outstanding tear resistance
Optimized clarity
See
A hialuronsav egy glikozamino-glikán, amely gyulladásgátló és ödémaellenes tulajdonságokkal rendelkezik. Az anyagot gél állapotban alkalmaztuk plakk okozta gingivitis terápiája során, majd értékeltük a hatásait.
Módszer: Randomizált dupla-vak típusú kísérletben, 50, plakk okozta gingivitisben szenvedő férfi beteget vizsgáltunk, akiket két csoportba osztottunk, majd verumot, illetve placebót tartalmazó géllel kezeltük őket naponta kétszer a szájápolás mellett 3 héten keresztül. A kísérlet kezdetekor, továbbá a kezelés 4., 7., 14. és 21. napján meghatároztuk a klinikai indexeket (API, Turesky-index, PBI) és a sulcusfolyadék sajátosságait (peroxidáz, lizozim).
Eredmények: Minden klinikai adat vonatkozásában jelentős javulást figyelhettünk meg mindkét csoportban. A verumcsoport szignifikáns javulást mutatott a vizsgálati területen a plakkindexek szempontjából a 4. naptól kezdve (P=0,011), a PBI pedig a 7. naptól kezdve (P=0,001), a placebocsoporthoz képest. A sulcusfolyadék változói szignifikánsan jobbak voltak a vizsgált gyulladásos terület centrumában a verumcsoportnál. Minden vizsgált területen csökkent a peroxidáz (176,72–128,75 és 188,74– 128,75 U/l) és a lizozim-(1,27– 0,27 és 1,30–0,33 mg/l) aktivitás a 7., 14. és 21. nap után (P 0,034 és <0,001 között), míg a placebo csoportnál csak egy helyen tapasztaltuk a lizozimaktivitás szignifikáns csökkenését (1,74– 0,75 mg/l) a 7. és 21. nap után (P=0,048 és 0,025).
Következtetés: Az eredmények alapján arra következtethetünk, hogy a hialuronsav-tartalmú gél kedvező hatást fejt ki plakk okozta gingivitis kezelése során.
A hialuronsav (hyaluronan) egy 200–10 000 diszacharidot tartalmazó glikozaminoglikán, amelynek molekulatömege meghaladja a 106 Da-t (Toole 1990). A hialuronsavat korábban mint metabolitot, illetve gyulladásos markert már vizsgálták a sulcusfolyadékban (Embery és mt.-i 1982, Last és munkatársai 1985, Smith és munkatársai 1996), továbbá fontos szerepet tulajdonítottak neki a növekedés, a fejlődés és a szövetek repair-folyamatai során (Pogrel és munkatársai 1996) is. A hialuronsav a kötőszövet egyik komponense, melyet az ínyszövetben mutattak ki (Bartold és munkatársai 1981, Giannobile 1993). A glikozaminoglikánok képesek kölcsönhatásba lépni a tropokollagénnel, és ezáltal interaktív régiót képeznek az alapállomány és a fehérjerostok között (Comper
és Laurent 1978). A hialuronsav koncentrációja sebgyógyuláskor (Fraser és Laurent 1989, Longaker 1991), valamint az embrionális fejlődés során (Kujawa 1986, Toole és Gross 1971), továbbá tumor kialakulásakor (Knudson 1989) egyaránt emelkedik. A magas molekulatömegű hialuronsav serkenti a patkányok hosszúcsontjainak gyors gyógyulását (Sasaki és Watanabe 1995) és a reparatív dentinképzést (Sasaki és Kawamata-Kido 1995). A hialuronsav in vitro fokozza a mesenchymalis sejtek vándorlását és differenciálódását (Pilloni és Bernard 1992), valamint a vér alakos sejtjeinek számos funkcióját, mint például a fagocitózist és a chemotaxist (Weigel és munkatársai 1986). A hialuronsavat alkalmazzák radio-epithelitis (Liguori 1997) és a térd osteoarthritisének terápiája során (Adams 1995, Huskisson és Donelly 1999, Wu és munkatársai 1997), valamint rheumatoid arthritis kezelésére is (Matsuno 1999). Gyulladásgátló tulajdonsága valószínűleg az exogén hialuronsav prosztaglandinokra, metalloproteinázokra és egyéb bioaktív molekulákra kifejtett scavenger hatásával magyarázható (Lauren 1995), ödémaellenes hatása pedig ozmotikus aktivitásával függ össze. A szakirodalomban azonban kevés olyan tanulmány található, amely a hialuronsav fogászati alkalmazásának eredményeivel foglalkozik. Pagnacco és munkatársai (1997) végeztek egy klinikai kísérletet, amelynek során 60 férfit és nőt kezeltek nem specifikus gingivitis miatt. A klinikai adatok szignifikáns eltérését tapasztalták a verumés a placebocsoportban. A két csoport között az ínyvérzés vonatkozásában a verumcsoportnál talált jobb eredményekből szignifikáns különbség adódott, melyet négy hét elteltével regisztráltak. Vangelisti és munkatársai (1997) a verum- és a placebocsoportnál a gyulladás szintje közötti különbséget egy saját maguk által kifejlesztett skála szerint értékelték (jó, kétséges, rossz). Előbbi vizsgálatuk során jobb eredményeket találtak a verumcsoportnál.
A gyulladásos folyamat intenzitása összefügg a szövetekre destruktív hatást kifejtő enzimek, mint például a proteázok szintjének (Sorsa és munkatársai 1994), valamint a főként leucocyta-eredetű lizoszomális enzimek emelkedésével (Fine és Mandel 1986). A lizozim aktivitása a sulcus-folyadékban gingivitis és parodontitis fennállásakor fokozott mértékű (Brandtzaeg és Mann 1964). A peroxidázaktivitás gingivitis esetén emelkedett (Smith és munkatársai 1984).
Az alábbi közlemény célja az, hogy igazolja a hialuronsav gél gyulladásgátló hatását gingivitis terápiájában egy randomizált dupla-vak jellegű kísérlet során.
A kísérletben 50 véletlenszerűen kiválasztott, plakk okozta gingivitisben szenvedő, önkéntes férfi (átlagéletkor 29,9±10,5 év) vett
részt, akik tájékozott beleegyezésüket adták írásban a randomizált dupla-vak tanulmányban való részvételhez, amelyhez hozzájárult a Rostocki Egyetem Orvostudományi Karának etikai bizottsága. A minta méretét az API kalkulációja, valamint a peroxidázés a lizozimaktivitás kiszámítását követően rögzítettük a=5% szignifikanciaszint mellett, a próba ereje 80% (Jones és Payne 1997), ahol az API javulását a peroxidázés a lizozimaktivitásban specifikáltuk.
Végül a minta méretét a ’nquiry advisor 4.0’ számítógépes program segítségével számítottuk ki.
A részvétel feltétele az volt, hogy az önkéntesek egészségesek, az utóbbi 6 hónapban antibiotikus terápia alatt nem álltak, prophylaxisban nem részesültek, 28 foggal rendelkeznek. A kísérlet 3 hétig tartott. A résztvevők verumot (0,2%-os hyaluronan, Merz Dental, Lütjenburg, Németország – 1. csoport) vagy placebogélt (hyaluronan nélkül – 2. csoport) használtak naponta kétszer. Mindkét gél tartalmazott vizet, xilitolt, cellulózgumit, denaturált alkoholt, PEG-40 hidrogenált ricinusolajat, polivinil-alkoholt, polikarbofil-, diklorobenzil alkoholt, aromát, CI 42090-et.
A két gél azonos konzisztenciájú, színű és ízű volt. A résztvevők
1 ml gélt helyeztek a gyulladt területre, vagyis a vizsgálati területre a felső négy frontfog vagy a premoláris fogak buccalis ínyfelszínére, ahogyan a vizsgáló orvos azt megmutatta nekik.
Az önkénteseknek azt javasolták, hogy mindig ugyanakkora, kb.
1,5 cm hosszúságú csíkot használjanak, amely hozzávetőlegesen
1 ml gélnek felel meg. A fogmosást és az étkezést az azt követő 3 órában mellőzniük kellett. A résztvevők egyéni szájhigiénés instrukciókat nem kaptak.
A klinikai vizsgálatot egyetlen orvos végezte anélkül, hogy tudta volna, ki melyik csoportba tartozik. A vizsgálat során ő állapította meg a Turesky-féle plakkindex és az approximalis plakkindex, valamint a papillavérzési index értékeit a kísérlet kiindulási időpontjában, majd 4, 7, 14 és 21 nappal később. A plakkindexeket módosítva, kizárólag a buccalis fogfelszíneken értékeltük. Az indexeket kiszámítottuk az egész szájra vonatkozóan, valamint a vizsgálati területet képező négy frontfog régiójára vonatkozóan is, amelynek kezelését hialuronsav-tartalmú géllel végeztük.
Minden vizsgálat alkalmával sul-cusfolyadék-mintát vettünk. A sulcusfolyadékot a vizsgálati területről a két középső metszőfog buccalis felszínéről nyertük. Relatív száraz körülmények között két percre a sulcusba helyezett Periopaper (Pro Flow™, Amityville, NY, USA) segítségével történt a mintavétel. A csíkokat 120 µl 0,5 M NaCl-ba helyezve –18ºCon tároltuk. Biokémiai analízis céljából különálló mintákat használtunk.
A lizozim és a peroxidáz aktivitásának biokémiai értékelését a minták 6–10 hétig tartó tárolását követően végeztük. A lizozim analízise a lizoplate módszer szerint történt. Az agarózgéllel bevont, továbbá Microccoccus luteust tartalmazó lemezeket oltottuk be a mintákkal, és inkubáltuk őket. 24 óra elteltével megmértük a feloldódott terület átmérőjét. Tyúktojásfehérje-lizozimet használtunk standardként. A peroxidázaktivitást Mansson-Rahemtulla és munkatársai (1988) módszerének megfelelően határoztuk meg. Szubsztrátként 5,5’-ditiobisz-2-nitrobenzoesavat használtunk foszfátpufferben (pH 5,6), amit merkaptoetanollal nitrobenzoesavvá alakítottunk, koszubsztrátként pedig kálium-tiocianátot alkalmaztunk. A spektrofotometriai analízist 412 nm hullámhoszszon végeztük.
A statisztikai értékelésre a szélsőséges adatok kizárása után került sor. Az alábbi változókat tekintettük szélsőséges értéknek: v<>x + 3xs. A Student t-próbát vagy Mann–Whitney U-próbát külön-külön használtuk a verum- és a placebocsoport közötti különbségek
megállapítására. A t-próbát vagy Upróbát külön-külön végeztük el, miután ellenőriztük a változók normál eloszlását a Kolmogorov–Smirnovpróba segítségével. A csoporton belüli változásokat statisztikailag a Friedman–Wilcoxon-próbával ellenőriztük, a £ 0,05 szignifikanciaszintet állapítottunk meg.
Az egész szájra vonatkozó klinikai változók
A két csoportban az egész szájra vonatkozó API-, Turesky-indexés PBIeredmények nem tértek el egymástól szignifikánsan egyik vizsgálat alkalmával sem. Számottevő javulást igazol mindhárom klinikai változó alakulása (API, Turesky-index, PBI) a verum- és a placebocsoportban egyaránt. A különbség minden esetben elérte a szignifikanciaszintet. A vizsgálati időpontok között a PBI-értékek változása a verumcsoportban mindig szignifikáns volt, míg a placebocsoportban nem találtunk szignifikáns eltérést a 14. és a 21. nap között.
A vizsgálati terület klinikai változói
A kísérlet folyamán minden klinikai változó tekintetében mindkét csoportban szignifikáns javulást tapasztaltunk. Ezek a változások a verumcsoportban kivétel nélkül megfigyelhetők voltak. A placebocsoportban az első szignifikáns különbségek a 7. naptól kezdve jelentkeztek.
A vizsgálati területen a klinikai változók statisztikailag nem mutattak eltérést a kísérlet kiindulási időpontjában a két csoport között.
A 4. naptól kezdve a plakkindexek szignifikánsan eltértek egymástól a két csoportban. A verumcsoportnál egyértelműen jobb eredményeket tapasztaltunk. A PBI tekintetében szignifikánsan jobb eredményt regisztráltunk a verumcsoportnál a 7. naptól kezdve.
A vizsgálati területről vett sulcusfolyadék eredményei
A vizsgálati területen, a két központi vételi helyről származó sulcusfolyadék lizozimés per-oxidázaktivitását külön-külön értékeltük. A két helyet a kísérlet során A és B jelű kódokkal jelöltük. A verum- és a placebocsoportokat összehasonlítva szignifikáns eltérést nem tapasztaltunk a peroxidázaktivitás tekintetében. A lizozimaktivitás szignifikánsan eltért a 7. (P=0,015) és a 21. napon (P=0,039) a két csoportnál. A Wilcoxon-próba alapján, a peroxidáz(P=0,010 és <0,001) és a lizozim(P<0,001 és <0,001) aktivitás szignifikáns csökkenését tapasztaltuk a verumcsoportban mindkét vételi helyről származó mintában, amelyeket a gyulladás centrumából nyertünk. Az aktivitás csökkenése a kiindulási adatokhoz képest különösen a 7. naptól kezdve vált nyilvánvalóvá (P=0,001 és ?0,001 a peroxidáz, valamint P=0,001 és P=0,002 a lizozim eseté-
ben a Wilcoxon-próba szerint). A 4. és a 7. nap között bekövetkezett csökkenés szintén szignifikáns mind a négy változó tekintetében a verumcsoportban (P=0,001 és P<0,001 a peroxidáz, valamint P<0,001 és P=0,001 a lizozim esetében a Wilcoxon-próba alapján). A peroxidázés lizozimaktivitások szignifikánsan és folyamatosan csökkentek a 21. napig. Ha összehasonlítjuk a 7. (P=0,048) és a 21. nap (P=0,025) eredményeit a placebocsoportban, akkor kiderül, hogy kizárólag a lizozimaktivitás csökkent szignifikánsan a B jelű kóddal ellátott területről származó mintában.
A hialuronsavat elterjedten használják a gyulladásos folyamatok kezelésére az ortopédiában, a bőrgyógyászatban és a szemészetben. A klinikai paraméterek szignifikáns javulását figyelték meg a térd osteoarthritise, a rheumatoid arthritis, a radioepithelitis terápiájában és a katarakta sebészi kezelésében. A fogászatban ilyen jellegű előzetes klinikai kísérleteket Vangelisti és munkatársai (1997), valamint Pagnacco és munkatársai (1997) végeztek. A jelenlegi kísérlet során a hialuronsav-tartalmú gél helyi alkalmazásának hatásait tanulmányoztuk plakk okozta gingivitis terápiájában. A vizsgálatban a páciensek egészségének javulását kísértük figyelemmel a klinikai indexek, valamint a sulcusfolyadék paraklinikai változóinak nyomon követése alapján. A tanulmányt dupla-vak jellegű kísérlet keretében végeztük. A sulcusfolyadék vizsgálatának előnye, hogy a kapott eredményt nem befolyásolja a vizsgáló szubjektív benyomása. A peroxidázés a lizozimaktivitások a gyulladásos folyamattal összefüggő mutatók. A 3 hétig tartó vizsgálat Chilton és Fleiss (1986) javaslata szerint zajlott, miszerint az ínygyulladással foglalkozó kísérleti időtartamnak hosszabbnak kell lennie 2 hétnél. A tanulmány során két plakkindex és egy gingivalis index változásait követtük nyomon. Az approximalis plakkindex az approximalis régióról szolgáltat információkat, a Turesky-féle plakkindex a plakk mennyiségét vizsgálja a fogak buccalis vagy labialis felszínein. Ennek a két indexnek az eredményeit nem csupán a szájhigiéné befolyásolja, hanem a gyulladás mértéke is hatással van rájuk. A fokozott menynyiségű sulcusfolyadék táplálékrezervoárként szolgál a plakkbaktériumok számára, és elősegíti a további plakktermelődést. A két plakkindex szignifikáns javulása az egész szájra vonatkozóan, egyrészt a kísérletben való részvétel miatti fokozott gyakorlat, másrészt a gyulladás csökkenése hatására következett be. A plakkindexek mindkét csoportban szignifikánsan javultak; az egész szájra vonatkozó végeredmények nem különböznek a verum- és a placebocsoport között. A klinikai indexekre kifejtett hatás mindkét csoportban megegyezett. A vizsgálati terület vonatkozásában a teljes javulás mínusz a szájhigiéné miatti javulás megegyezik a verum alkalmazása miatt
bekövetkezett javulással, amennyiben kizárólag a verum-csoportnál tapasztaltuk az eredményt. A kísérlet kezdetekor nem volt szignifikáns különbség a gyulladás mértékét illetően a két csoport között. A négy metsző buccalis fogínyét tekintve viszont már a kísérlet korai fázisában szignifikánsan jobbnak bizonyultak az API és a Turesky-indexek a verumcsoportnál. A kísérlet végén tapasztalt nagyon alacsony API-értékek azzal magyarázhatók, hogy a maradék 22 önkéntes résztvevőből 19 páciensnél a vizsgálati terület teljesen plakkmentesnek mondható volt. Az eredményeket a Turesky-index is alátámasztotta. Az egész szájra vonatkozó indexek alapján az derül ki, hogy a verum- és a placebocsoportban egyenlőképpen érvényesült a kísérletben való részvétel miatti gyakorlat szájhigiénére kifejtett hatása, ezért a verumcsoportnál tapasztalt jobb eredmények a hialuronsav-tartalmú gél használatára vezethetők vissza. A szakirodalomban nem találtunk olyan tanulmányt, amely a dentális plakk metabolizmusának változásait vizsgálja, külső hialuronsav alkalmazásának függvényében. A két csoportnál nem tapasztaltunk szignifikáns különbséget az egész szájra vonatkozó papillavérzési index eredményei között. A verum- és a placebocsoportnál már a kísérlet korai fázisában, vagyis a 4. naptól kezdve, a PBI-index folyamatos szignifikáns csökkenését láttuk. Ezeket a változásokat a kísérletben való részvétel miatti gyakorlat szájhigiénére kifejtett hatásának tudtuk be. A vizsgálati területre vonatkozóan viszont a PBI-értékek szignifikáns eltérését állapítottuk meg a verum- és a placebocsoport között a kísérlet
7. napjától kezdve. Itt tehát jobb eredményeket kaptunk a verumcsoport esetében. Az eredmények a hialuronsav ödémaellenes hatásával és a prosztaglandinokra, valamint a metalloproteázokra kifejtett scavenger hatásával magyarázhatók. A szakirodalomban azonban nem találtunk olyan tanulmányt, amely a hialuronsav gingivalis epitheliumon, illetve bőrön keresztüli felszívódásának vizsgálatával foglalkozik.
A sulcusfolyadékban a peroxidázés a lizozimaktivitás szignifikáns csökkenést mutatott a kísérlet alatt, de ezt kizárólag a verum-csoportnál tapasztaltuk. Szignifikáns eltérést figyelhettünk meg a verum- és a placebocsoportok között a lizozimaktivitás tekintetében a kísérlet 7. és 21. napján.
Jelen kísérletben a verum-csoport szignifikáns javulást mutatott a klinikai és a paraklinikai adatok tekintetében a 21 napos vizsgálati időtartam alatt. Bebizonyosodott, hogy ezek a változások a hialuronsav gyulladáscsökkentő és ödémaellenes hatásával függnek össze. A gél formájában alkalmazott hialuronsav hatása a fogínygyulladásra tehát enyhén erősebbnek bizonyult, mint a placebo.
Konklúzió: A fenti tanulmány szerint a hialuronsavat tartalmazó gél előnyösen befolyásolja a plakk indukálta gingivitis terápiáját, amelyet klinikai és paraklinikai adatok is alátámasztanak.
Jentsch H., Pornowski R., Kundt G., Göcke R.
Ha megkérdeznénk a fogszabályozó szakorvosokat, valószínűleg többségük legnehezebb feladatként a nyitott harapás kezelését említené első helyen.
A legtöbb állcsontműtétet is nyitott harapás esetén végzik a skelettális korrekció céljából. Azt viszont mindannyian tudjuk, hogy egy állcsontműtéttel kombinált eset általában többéves fogszabályozó kezelést jelent, a műtéti kockázatokról nem is beszélve.
Az is általánosan elmondható, hogy a páciensek rettegnek az állcsontműtétes beavatkozástól, és a legtöbb esetben bármit megtesznek, hogy elkerüljék azt. Ezzel a ténnyel fogszabályozó szakorvosként, nem elfelejtve a tényt, hogy „a fogak végén egy ember található”, magam is maximálisan egyetértek.
Szerencsére a Pitts Protokollok alkalmazásával, a Pitts21-es passzív önligírozó fogszabályozó folyamatos lágy erőhatásokkal történő fogmozgatásainak köszönhetően, az állcsontműtétes esetek 90%-a megoldható műtét nélkül, pácienseink legnagyobb örömére. Legrosszabb esetben fogszabályozó minicsavarok behelyezésével oldjuk meg bizonyos fogcsoportok, illetve akár az egész alsó vagy felső fogsor mozgatását.
Ráadásul a „Pitts Korán Aktív - Active Early” kezelési filozófiának köszönhetően rendkívül gyorsan lehet az ilyen eseteket
megoldani. Az „Active Early” kezelési protokollok lényege, hogy kezelés során felmerülő transzverzális, saggitális és vertikális részfeladatokat nem egymás után oldjuk meg, hanem egyszerre, a tér mindhárom dimenziójában végezzük a fogmozgatásokat és a harapás beállítását.
Mint minden esetben, a kezelés megtervezése teljesen arcesztétikai alapokon történik, és az esztétikához szabályozzuk hozzá a funkciót.
Abban az esetben, ha valamilyen állcsúcskorrekciós műtét is szükséges a tökéletes profil kialakításához, a fogszabályozó készülék eltávolítása után történő tipikusan állcsúcsplasztika a páciens számára sokkal kisebb beavatkozást jelent, mint maga az orthognath állcsontműtét.
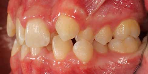
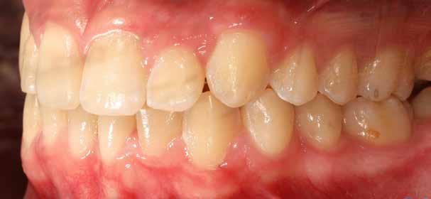
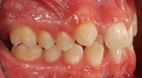
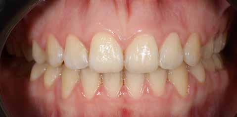
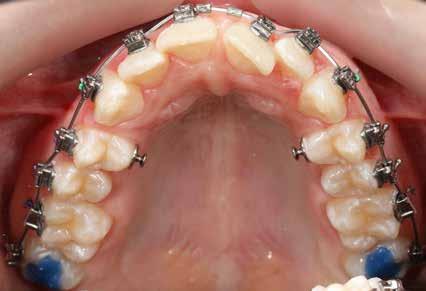
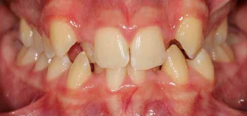
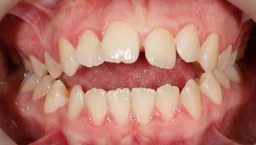
Ebben a cikkben egy 16 éves lánypáciens esetét szeretném bemutatni (1–7. képek)
Mint sok páciensem, akiknél végül nincs szükség állcsontműtétre, ők is megjárták a saját „kálváriájukat”: már több fogszabályozó kollégánál jártak, és mindegyik azt mondta nekik, hogy állcsontműtét nélkül az eset nem megoldható.
Végső elkeseredésükben időpontot foglaltak hozzám, és legnagyobb örömükre egyértelműen látszódott, hogy a Pitts Protokollok-kal nincs szükség az orthognáth műtétes beavatkozásra.
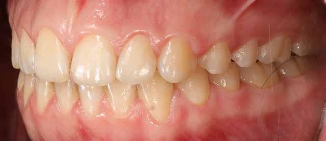
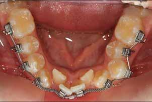
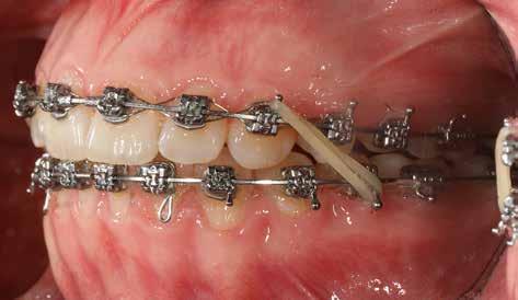
A Pitts21-es fix készülékes kezelés során a harapásemelőket a felső nagyőrlő fogakra ragasztottuk, hogy a felső molárisok intrúziójával segítsék a harapás zárását (8. kép) Ún. keresztharapásos, majd később normál class 2-es gumihúzással (9–10. képek), továbbá az elülső fogakon alkalmazott ún. Rainbow harapás-záró gumihúzással (11. kép) korrigáltuk a jobb oldali teljes premolárisnyi distal-harapást, valamint az elülső nyitott harapást.
6 hónap után a nyitott harapás már nagyjából összezárásra került (12. kép)! A gumihordás a kezelés teljes hosszában folyamatos, éjjel-nappal, 22-24 órában az étkezések és az utánuk történő fogmosás kivételével.
Az ilyen nagyfokú nyitott harapásnál a felső frontfogak lefelé mozgatásánál a páciensnek könnyen ínymosolya (Gum-
my Smile) lesz. A lágy erőknek köszönhetően a középarc izom-egyensúly átalakulása miatt a felső ajak is lefelé mozdul ilyen esetekben, sokszor még a készülék eltávolítását követően is. Ráadásul, ha 2-3 mm látszik az ínyből az nem probléma, mert később az arc öregedésével a felső ajak lefelé mozdul.
Amennyiben szükséges egy adott vertikális pozícióban megtartani a felső frontfogakat, mert nemkívánatos a na -
gyobb íny- és fogexpozíció (más szóval láthatóság), akkor 2 db fogszabályozási miniimplantátum behelyezésével a felső frontfogak területére a további extrúzió megakadályozható az ideális mosolyesztétikai eredmény eléréséhez.
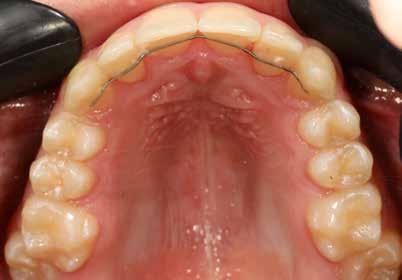
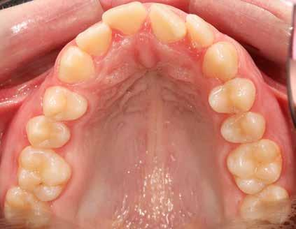
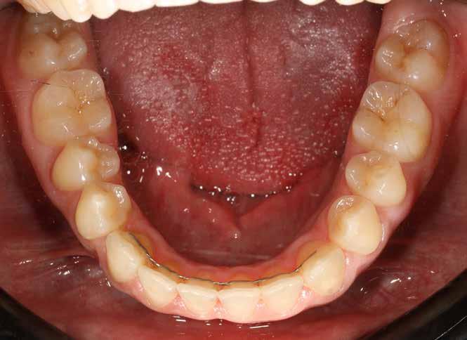
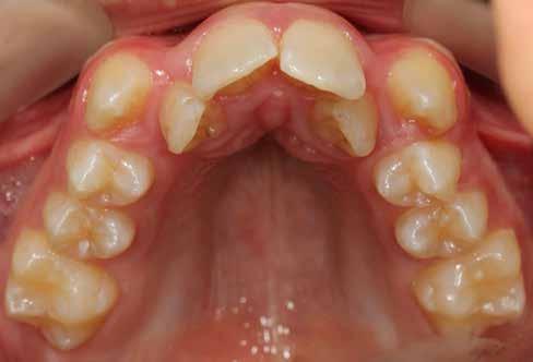
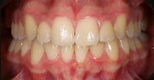
A fix fogszabályozó készülék mindössze 16 hónapos kezelés után került eltávolításra! Páciensünk legnagyobb örömére állcsontműtét nélkül sikerült mind az arcesztétikai, mind a funkcionális rehabilitáció (13–18. képek)
Jelen esetben ugyan nem állt fenn, de nagyon sok esetben a nyitott harapásos eltéréshez nyelvlökéses nyelés is hozzájárul. Ilyenkor logopédiai kezelés is szükséges a fogszabályozó kezelés mellett, mivel ennek hiányában – a nyelv a retenciós készülékek használata mellett is – újra ki fogja nyitni a harapást valamilyen mértékben!
Minden fogszabályozó kezelés után nagyon fontos a retenció, de ilyen eltérés esetén különösen, mivel a recidíva veszély nyitott harapás esetén a legnagyobb. A fogak és a harapás megtartása fix és kivehető retainer-ekkel történik.
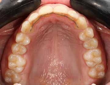
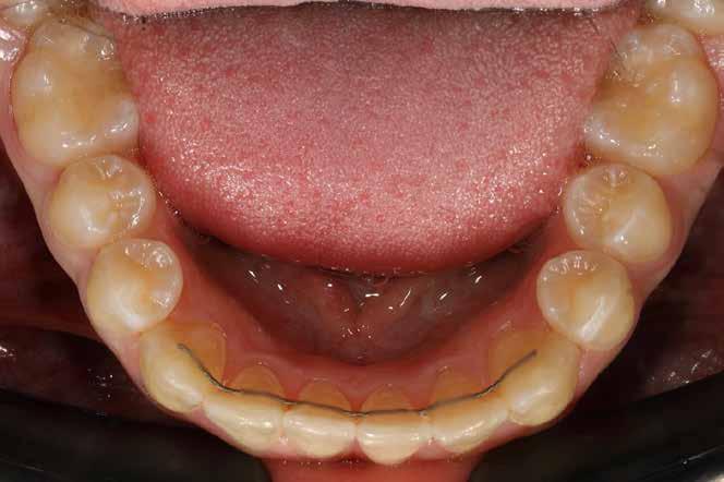
A kivehető helyben-tartók legfontosabb eleme a mindkét fogívet összekötő ún. Splint (19. kép), amely egyrészt saggitálisan tartja a helyén a mandibulát, hogy ne csússzon vissza hátrafelé, másrészt segít a harapás zártan tartásában a növekedés teljes befejeződéséig.
Pitts Protocol Issue 1-11
Pitts Protocol Clinical Article Issue
Journal of Clinical Orthodontics Volume 51 Number 03: Bracket
Positioning for Smile Arc Protection
KAVOSZ SZÉCHÉNYI LÍZING MAX+
• 5 % fix kamatozás
• 2,5 % szerződéskötési díj
• Önerő 30 %
A-dec 500
Prémium kategóriás alsó/felső karos kezelőegység
2003 ÓTA FOLYAMATOSAN ELNYERTE A LEGJOBB KEZELŐEGYSÉG FŐDÍJAT
Csak az a gyártó ad 5 év garanciát a termékére, aki biztos a gyártmánya minőségében
DELUXE vezérlés, 8+4 LED páciens lámpa, NSK NLZ LED-es mikromotor www.a-dec.com/virtual-tour www.dent-east.hu
Az A-dec kezelőegységek szervizeléséhez a vételár mindössze átlagosan 1,97%-át teszi ki az évente vásárolt alkatrész. Ebben az A-dec páratlan.
A-dec 230
Felsőkaros kezelőegység, DELUXE vezérlés, 8+4 LED vagy 4 LED páciens lámpa, NSK NLZ LED-es mikromotor
A-dec 200
Kompakt alsókaros kezelőegység
DELUXE vezérlés, 8+4 LED vagy 4 LED páciens lámpa, NSK NLZ LED-es mikromotor
„Amit ma megvehetsz, ne halaszd holnapra”
1 témakörű kongresszus: 50 000 Ft
(esztétika, implantológia, endodontia, orthodontia) – Teljes ár: 100 000 Ft
All access: 75 000 Ft
(mind a négy témakörű kongresszusra belépést biztosít) – Teljes ár: 150 000 Ft
*A kedvezmény 2023. március 31-ig érvényes.
Vegye meg most kongresszusi jegyét Ultra Early Bird kedvezménnyel!*
Az esztétikai szabályrendszerek követése, a munka individualizált
Ebben nyújt segítséget a Smylist szoftveres tervezés
esztétika mellett a helyes funkció, a helyes állkapocs
megtervezése ezért nagyon fontos a teljes test egészére nézve. is. A szoftver segítségével lehetőségünk van a helyes pozíció és a megfelelő testegyensúly kialakítására is.
Talán nem is gondolnánk, hogy milyen jelentőséggel bírnak életünkre nézve nagymetsző fogaink. Fogorvosok vagyunk és gyógyítók. A cikket végigolvasva, és újra átgondolva talán nem lesz meglepő, ha azt merem majd állítani, hogy az orvoslást tekintve talán a legfontosabb gyógyítás a mi kezünkben van. Ha egy kicsit másképp tekintünk pácienseink fogazatára, mint ahogy eddig tettük, akkor egy szép, komplex, összefüggésekkel teli világ tárul elénk, amelyben mi magunk is alkotók, segítők és gyógyítók lehetünk. Ezt a világot próbálom most megmutatni, ahogy a Smylist Módszerrel látjuk.
(1. kép)
A nagymetsző fogak feladataként, eddigi szakkönyvek, az arc szépségének megteremtését, a mosoly dominanciáját, a középvonal és frontfogak elhelyezkedését, a fogak rágásban való szerepét, funkcionalitásban való részvételét említik. Gnathológiai szempontból a frontfogak frontfogvezetése kap hangsúlyt. Olvashatunk még a frontfog helyes elhelyezkedéséről a középvonalhoz képest, valamint a protrúziós szögértékről, a nagymetszők és az alsó ajkon található Vermillion-barázda viszonyáról, a fontetikai szempontokról is. Közismert tanulmányainkból a nagymetsző szélesség-hossz arányának fontossága, az aranymetszés szabályának szem előtt tartása, alaki variációja és csoportosítása (háromszög,
négyszög, trapéz), a fogak éli karakterisztikája, valamint felszíni struktúrájának sokszínűsége.
Az előbb felsorolt szempontok a mosoly, a fogazat megalkotásához is hozzájárulnak, és diagnosztikai paraméterekként is használhatók. Vegyük sorba azonban azokat a szempontokat és kiegészítéseket is, amivel a Smylist Módszer dolgozik és hozzájárul annak megértéséhez, hogy a mosoly megalkotása valójában a test egyensúlyát, egészségét, az izmok harmóniáját biztosítja, és mindehhez csupán az arc genetikai, egyedi adottságait használja. (2. kép)
A nagymetszők pozíciójának meghatározása a középvonal figyelembevételével történik. A Smylist Módszer egyedi középvonalakat alkalmaz (egyenes, ívelt és ferde) függően attól, hogy az arcon található horizontális referencia vonalak egymással párhuzamosan, vagy összetartóan futnak-e. A középvonal meghatározásához a Glabella-OrrcsúcsPhyltrum pontokat használja, de soha nem használja az állcsúcson lévő pontokat (pl. Pogonion). Ennek nagyon egyszerű és logikus magyarázata van. Az állkapocs pozícióját és a gnathológiai szempontokat figyelembe véve, a páciensek majdnem 90%-ánál megfigyelhető a mandibula nyugalmi állapotából való elmozdulása, melyet az alsó és felső fogak egymáshoz való viszonya határoz meg. Ezt figyelembe véve érthető, hogy az állcsúcson lévő Pogonion pont a mandibula frontális irányból látható eltolódása (shiftelődése), vagyis valójában rotációja ezeknek a pontoknak az elmozdulását jelenti. A koponyához kötött pontok alkalmazása logikusnak tűnhet, azonban egy mozgó testrészen lévő pontmeghatározás és a tervezéshez való felhasználása logikátlan a diagnosztika, valamint a tervezés szempontjából. Ez egy jelentős szemléletváltás a fogászatban. A Smylist Módszer a horizontális fix vonalakat (szemöldökön, pupillákon, orrszárnyakon, ajkakon áthaladó vonalak) és a fix pontok alkotta középvonalat vagy
ívet használja a nagymetszők beállításához, valamint a diagnosztikához. (3. kép) Ennek segítségével határozza meg a helyes, vagyis az ún. elvárt Pogonion pontot, azaz arcesztétikai paraméterek és tervezés kapcsán állapítja meg a funkcionálisan helyes állcsontpozíciót. A diagnosztika során az adott és elvárt Pogonion pontok közti különbség gnathológiai problémára utalhat. Ahhoz, hogy ez a művelet gördülékeny és átlátható legyen, grafikus szoftver használható, így minden tervezési folyamat diagnosztikusan elvégezhető. A vonalak és pontok alkalmazásával nem csak a helyes középvonal és az elvárt Pogonion pont határozható meg, hanem a középvonallal paralellen és ideális esetben rajta futó interincizális vonal is. Az interincizális vonal alkalmazásával a nagymetszők állása határozható meg. A levezetés kapcsán megfigyelhető, hogy a nagymetszők teljesen másként helyezkednek el egy egyenes, egy ferde és egy ívelt középvonal esetén. (4. kép) Az interincizális vonal és az individuális középvonal egymáson kell, hogy elhelyezkedjen. Az általuk esetlegesen bezárt szög, azaz a helytelenül felállított nagymetszők mindenképpen funkcionális, esetlegesen gnathológiai problémát fognak okozni.
A nagymetszők interincizális vonalának meghatározásával a nagymetszők beállítása a páciens egyedi középvonalának, így genetikai felépítésének megfelelően történhet. A pozíciómeghatározás az incizális éli részeket is megadja, ami viszont az okkluzális síkkal paralell. A Smylist Módszer a tervezés során soha nem használja sem a bipupilláris vonalat, sem az ICL-t (interincizális vonal) az okklúzió meghatározásához. Az egyedi középvonal megállapításakor ezek a vonalak is csupán segédvonalak. Nagyon fontos, hogy az okklúziós vonal elhelyezése mindenkor a referenciavonalakkal együtt történjen az arc geometriai rendszerének megfelelően. Az egyenes és ferde középvonal esetén az összes többi vonallal paralellen futva, ívelt középvonal esetén az összetartó referenciavonalakkal egységben megállapítva, a középvonal adott pontjára merőlegesen állítva történjen. Láthatjuk, hogy az okklúziós sík megállapítása jelentősen függ az adott arc egyedi középvonalától. Egyenes és ferde középvonal esetén a horizontális referenciavonalakkal párhuzamos, ívelt középvonal esetén az adott középvonalra merőleges, vagyis az összes többi referenciavonallal összetartóan fut. Így az okklúziós sík az egyenes középvonal esetén a horizontális vonalakkal fut paralellen, míg a ferde és a görbe középvonal
esetén egyik vagy másik oldalfél irányába billenhet. (5. kép) Amennyiben ettől a Smylist szabálytól eltérünk, és átlagolt, vagyis az egyenes középvonalat használjuk és nem az individualizáltat, akkor helytelen nagymetsző állást, helytelen okkluzális síkot és funkcionális problémát kapunk. A nagymetsző helytelen beállítása esztétikailag is szembeötlő lesz, hiszen akár a héjak, koronák, vagy egy fogszabályzás után a nagymetszők ferdesége lesz megfigyelhető. (6. kép) Így elmondhatjuk, hogy az arc geometriáját (középvonal, referenciavonalak, referenciapontok) felhasználhatjuk a nagymetszők esztétikai és funkcionális beállításához. (7. kép)
A nagymetszők pozíciójának megállapításakor azonban a horizontális, a vertikális, valamint sagitális beállítást és ennek kapcsán a protrúziós értéket is figyelembe kell venni. Ezek a paraméterek adják a kulcsot a helyes esztétikai és funkcionális kialakításhoz.
A nagymetszők vertikális beállítását segíti a felső ajak és a nagymetsző viszonyának meghatározása különböző életkorban cheese és enyhe mosolytartásban (ún. MMM tartás). (1. kép)
A protrúziós szöget pedig széles mosolytartásban (cheese) a nagymetszők éli részének és a Vermillion-barázdának a viszonya adja meg. Jól ismert szabály, hogy a nagymetszőknek a Vermillion-barázdát érintve, vagy amögött elhelyezkedve kell lenniük. (8. kép) A Vermillion-barázda elé harapó, azaz az ajakra harapó nagymetszők protrudáltak, és nem csak esztétikai, hanem fonetikai és funkcionális problémát is okoznak. Lássuk, miért!
A nagymetsző helyes beállítása gnathológiai jelentőségű. Tanulmányaink során a nagymetszők vezetésének fontosságát emeltük ki (front guidance). A Smylist gnathológiai
szemlélet szerint, egyes eseteket kivéve (ujjszopás okozta jelentős protrúzió, nyitott harapás, genetikai probléma, veleszületett rendellenesség), mindenki tud frontfog vezetést produkálni abban az esetben is, ha gnathológiai problémája van. (Ugyanez az elmélet a szemfogakra is vonatkozik.)
A helyesen beállított frontfogak a Smylist szemlélet szerint barriert, gátat képeznek a mandibula fogai számára, és mintegy meghatározzák azt, hogy a mandibula meddig mehet előre. A csodálatos ebben az, hogy a helyesen beállított nagymetszők pontosan azt a pozíciót adják, ahol a mandibulát tartó és mozgató összes izom nyugalmi állapotban van. A Smylist rendszer tudatossága abban rejlik, hogy az arc geometriája és egyedi arányai, vonalai alapján képessé válunk az állkapocs helyes pozícióját és a harmonikus izommozgást biztosítani, valamint a mosoly esztétikáját következetesen megtervezni.
A helyes állkapocs pozícióban az izmok nyugalomban vannak, az állkapocs nyugalmi helyzetet foglal el, sem a rágóizmok, sem pedig a mimikai izmok, sőt a nyelv izmai sem vesznek fel kényszertartást. Ezáltal elkerülhető sok-sok funkcionális probléma, mint például nyelvlökéses nyelés, bruxizmus, fogszorítás, frontfogakon való támaszkodás, ami mind az izmok instabil, kényszerpozícióját hivatottak megkönnyíteni. Ha csak azt képzeljük el, hogy a feltételezett helyes protrúziós szögállásból a nagymetszőket protrudált állapotba tesszük, akár fogszabályzás, akár koronák, héjak készítésével, vagyis az alsó fogak számára egy csúszdát készítünk a palatinális felszín helytelen állásával, akkor a mandibula metszőfogai a maxilla frontfogain való előrecsúszásával protrudáltabb állapotba kerülnek. Minél nagyobb a protrúzió, annál nagyobb a „csúszdázási kedve” az alsó metszőknek, azaz, annál könynyedebben fognak előrecsúszni, nem mellesleg, a mandibulával együtt.
Nézzük meg, mit is jelent ez a temporomandibuláris ízületre nézve! A folyamat során a fejecsek előreindulnak, majd mivel a fossa elülső falába ütköznek, ezért praktikussá válik számukra az eminencián való lecsúszás. Ennek három nagyon fontos közvetlen következménye lesz:
1. A felső és alsó nagymetszők távolabb kerülnek egymástól;
2. Eleinte virtuális, majd látható rés képződik a rágózóna területén, amit a fogak a későbbiekben lassú elongációval próbálnak kompenzálni;
3. A rágásban és a mimikában résztvevő izmok megfeszülnek, vagy éppen túlnyúlásba kerülnek, a nyelv instabil állapotot vesz fel. (9. kép)
Az enyhén protrudált nagymetsző fogak esetén a folyamat azonnal megindul. A frontfogak, az őket érő erő miatt, még inkább protrudálttá válnak, a mandibula metszőinek maxillán való támaszkodása miatt kopnak, illetve intrudálódnak. Ez okozza, hogy a későbbiekben a mandibula a fejecsek mozgási lehetőségei és az izmok működési lehetőségei miatt felfelé rotálódik, hogy elérje az előrenyomott és magasabban lévő frontfogakat. Esztétikailag ezek a metszők rövidek (intrudáltak, idővel kopottak is), enyhén vagy jelentősen előredőlőek. Ha a szemfogak sem képeznek oldalirányban akadályt, akkor a problémát az oldalirányú rotáció is tarkítja. A nagymetsző fogak protrúziójának azonban az 1-3. pontban említett problémák csak a közvetlen következményei, melyet számtalan egyéb probléma követ. A Smylist-elméletek a következményeket mint negatív kaszkádeffekt írják le, melyből szépen kiviláglik, hogy a nagymetszők elmozdulása az egész testre kihat. Itt említeném meg, hogy tankönyvileg az álkapocs pozíciójában bekövetkező változások 80%-ban hatnak a testre, míg a test különböző részein
bekövetkező változások csupán 20%-ban befolyásolják az okklúziót.
Nézzük meg sorban a negatív kaszkádreakció következményeit! (10. kép)
Ahhoz, hogy megértsük fontosságunkat az orvoslásban, mindenképp szükséges kitekintenünk a szájból, a TMI-ből, sőt az arcból is. Az állkapocs, mint két ízülettel rendelkező csont, izmok felfüggesztésével kapcsolódik a koponyához, a maxillához, a koponyacsontokhoz, és ne felejtsük el, hogy a nyelvcsonthoz, sőt a vállövekhez, a sternumhoz is! (11. a–d képek) Ennek tükrében nem nehéz elképzelni, hogy a mandibula elmozdulása ezeknek az izmoknak a vongálásával jár. Természetesen a mandibula helytelen pozíciójának több oka is lehet. Egyelőre a nagymetszőkön keresztül nézzük meg logikusan végigkísérve ezt a negatív kaszkádreakciót! A mandibula előre, és idővel felfelé történő rotációja az izmok vongálását eredményezi. A környező izmok után a fej, a nyak és a vállöv izmainak húzását okozza.
A mandibula az izmok vongálásával a nyak izmait is húzza, így idővel átrendezi a nyakcsigolyákat is, melyek főként az 6-os, 7-es csigolyák szintjén elcsúsznak egymáson. Ez a fej előrecsúszásával jár. (12. kép) A test szempontjából ez egy egyensúlyból kibillent állapotot eredményez, ami a testet kompenzációra készteti. Tipikus testkompenzációs tartásokat figyelhetünk meg, aminek típusos megjelenései vannak. A kompenzáció az egész testet érinti. (13. kép) A fej előretolódik, a vállövekben, a csípőben, és a térd ízületeiben is változás történik. A test kimozdul a fejen-váll-
a mandibula elmozdulása miatt kialakuló kényszerharapás következtében jön létre. A folyamat a páciensnek fogszabályozás során tapasztalható fájdalmakat okozhat. Épnek tűnő fogazatában egészséges fogakat érzékenynek érez, vagy indokolatlan arccsontfájdalmakról panaszkodik.
öveken-csípőn-térden-talpon keresztül haladó tengelyéből. A kompenzáció megfigyelhető a mellkas előretolásában, a hát kidomborodásában, a fenék hátrabillentésében vagy éppen előretolásában, és a teljes test előredőlésében. Férfiben s nőben is másfajta kompenzáció figyelhető meg: nőkben inkább a mellkas kidomborodása, csípő felfelé billenése, férfiban a csípő előrebillentése látható. Tipikus tünet a kompenzáció során az alhasi rész kidomborodása, a reggel még lapos has, majd estére a fáradó, túlterhelt hasés hasfali izomzat miatt az alhasi pocak megjelenése.
A testkompenzáció jól látható, azonban a változást megfigyelhetjük az izomzatban, tetten érhető a fasciák vongálása kapcsán megjelenő fantomfájdalomként, az ízületekben és a belső szervekben is. A fantomfájdalmak a sípcsontban, a csípőcsont környékén, a vállban, lapocka alatt, sőt az arcon is tapasztalhatók. Fantomfájdalomként aposztrofálható a lassú fogmigráció, amely
Az arcon nem csak a rágóizmokat terheli meg ez az instabil állapot, ami egyfajta kényszertartásra készteti az izmokat, hanem az arcizmokban is változást okoz. Egyes izmokban működésfokozódást, más izmokban a túlnyúlást, renyhébb működést eredményez. Így az arcon masseter hypertrofia, a mentális izom jelentős terimenövekedése, a zygomatikus izom hypofunkciója látható. Ezekből a jelekből a Smylist Arcdiagnosztikát alkalmazva egyszerűen következtethetünk a gnathológiai problémákra, a mandibula helyzetére, valamint a fogak helytelen állására is.
A nagymetszők protrúziójának mintázata megjelenik a testben, és típusos képe van az arcizmok és a redők tekintetében. (14. a–b képek) Az arcredőkben megfigyelhető a szem alatti árkok mélyülése és előrehaladott esetekben háromszög alakúvá válása, a nasolabiális redő mélyülése, majd a mentális redő megjelenése. Ugyanígy megfigyelhetők a felső ajkon megjelenő vertikális ráncok (ún. cigarettaráncok), a horizontális ránc, valamint a Marionett-redők és a csillag alakú behúzódások is. Az izmok diagnosztikája során a már említett izomváltozások lelapult középarci részt, szögletes arcot, hegyes állcsúcsot eredményeznek (15. a kép). A diagnosztika során így elegendő az arc megtekintése a probléma feltárására. Ugyanígy minden fogállásnak és gnathológiai problémának is vannak típusos arcés testtartás jellemzői (15. b kép). Ennek
nagy segítség a mindennapi praxisban a problémák megállapítása érdekében.
Amennyiben a mandibula mozgása csak frontális irányú, akkor szimmetrikus változásoknak lehetünk tanúi, amint oldalirányú rotáció is történik a mandibula esetében, akkor aszimmetrikus mozgások és változások tarkítják a képet, ami jól látható a váll, a csípő, a lábfej állását, rotációját megvizsgálva. A negatív kaszkádreakció jól nyomon követhető. Minél előrébb kerül a mandibula, annál inkább húzza a vállöveket, ami idővel a vállövek előrebukását okozza. Ez a jelenség az évek múltával korlátozott karemelést eredményez. Az előrebukó vállak lassan összenyomják a bordákat, ami a szegycsonton exostotikus kiemelkedést, vagy épp ellenkezőleg, enyhe mélyedésképződést okoz, ugyanis a két csontszél a találkozási helyén úgy viselkedik az állandó nyomás hatására, mint két tektonikai lemez. A találkozás során a nyo-
más hatására a lemezek (csontszélek) egyike a másik alá bukik, vagy felgyűrődik, így árkok vagy hegyek keletkeznek, ugyanígy a sternum esetében exostotikus kinövések, vagy mélyedések jöhetnek létre. Természetesen, ha a mandibula mozgása aszimmetrikus, akkor ez a jelenség csak az egyik oldalon figyelhető meg. A kaszkádreakciót tovább követve természetesen a kompenzatórikus izomműködés nem áll meg ezen a ponton, hanem a hasizmoknál okozhat konstrikciót, a csípők szintjén feszüléseket, és az izomkaszkádot végig követve a talp izmaiban is izomkompenzációt okoz. (16. kép) Így például egy talpnyomásvizsgálaton a Smylist Metódussal – a negatív kaszkádreakciót végig követve – megállapítható a mandibula helyzete és a fogazati probléma is. Mivel a csont egy élő szövet, ezért a nyomásra egyik oldalon növekedéssel, másik oldalon bomlással reagál. Ez a szájban is szépen követhető az exostotikus képletek megjelenésével (Smylist szájdiagnosztika), valamint megfigyelhető az egyensúlyt biztosítani kívánó talpizmok húzásában-nyomásában lévő csontokon megjelenő képletekben is, exostotikus kinövések, deformitások (pl. kalapácsujj), bütykök formájában.
Az esetlegesen fennálló aszimmetrikus izommozgás a kétoldali ízületeket is aszimmetrikusan terheli meg, így a mandibula oldalra csavarodásakor megfigyelhető egyoldali térd, illetve csípő túlterhelés és fájdalom is.
Az egyensúlyból való kimozdulás (aminek természetesen több oka lehet) nem csak a test vázizmaira, csontjaira, hanem a belső szervekre is hat. (17. kép) A kompenzatórikus testtartás csavarodásokat, töréseket okoz, ez pedig az érhálózatban, ideghálózatban és a nyirokhálózatban is hasonló „töréseket”, elakadásokat produkál. Ennek következtében az oxigenizáció csökkenhet, cianotikus lehet az adott terület, és a nyirokkeringés is érintetté válhat. Ezért a logika mentén haladva az adott kompenzációban résztvevő és érintett területen, továbbá az ott lévő szervekben figyelhető meg működésbeli változás. Ilyen szervek például a nyak területén a nyelv, és ezzel kapcsolatban felmerülő nyelési probléma, nyelvlökéses nyelés, a gége és a hangszálak, melyeken érintettség miatt rekedtség, gombócérzés figyelhető meg a torokban. A nyaki szerveknél a pajzsmirigy ideg- és érellátása, nyirokkeringése válhat érintetté. A mellkas területén, az előrebukó váll miatt összenyomódó bordák nehéz légzést
okoznak. A gyomor területén savasodás, az ún. gyomorideg részint a megfeszült hasizmok miatt alakulhat ki. Alhasi problémák, lelassult bélműködés, aranyér jelenhetnek még meg. (18. kép)
Messze jutottunk a nagymetszők enyhe, majd erőteljesebb protrúziójától, azonban, ha a testet egységben figyeljük és kezeljük, akkor a mandibulát és a rágószervet, valamint a fogakat is ennek az egységnek a részeként kell értelmeznünk. A mandibula helyes pozícióját részben a felső fogazat adja meg. A nagymetszők és a szemfogak egyéni középvonalnak, egyénileg beállított oklúzális síknak megfelelően történő kialakítása kulcsfontosságú.
Az összefüggések és a kaszkádreakció végiggondolása, ismerete tükrében a fogazat megtekintésével nagy százalékban meg lehet mondani, hogy milyen problémái vannak a páciensnek (izomspazmus, ízületi fájdalom, gyomor, hangszál, pajzsmirigyproblémák, belső szervek problémái). (19.kép) A fogak kezelésekor ezért érdemes a pácienseinket komplexen kezelni, a nagymetsző és a szemfogak állására külön figyelmet fordítani. A nagymetsző fogak beállításakor a jól ismert esztétikai és funkcionális szabályokat, valamint a Smylist szabályokat is ajánlott alkalmazni. Az esztétikai szabályrendszerek követése, a munka individualizált megtervezése ezért nagyon fontos a teljes test egészére nézve. Ebben nyújt segítséget a Smylist szoftveres tervezés is. (20. a.,b.,c képek) A szoftver segítségével lehetőségünk van a helyes esztétika mellett a helyes funkció, a helyes állkapocs pozíció és a megfelelő testegyensúly kialakítására
(21. kép)
A fogászat és különösen az implantológia rohamos fejlődésével vagy talán annak terjedését is megelőzve szaporodik a fogászattal, de ezen belül még inkább az implantológiával kapcsolatos jogviták és bírósági esetek száma. Ezek oka kétségtelenül részben a fogászat megváltozott működésével kapcsolatos körülményekben, és különösen az implantológia soha nem látott robbanásszerű változásaiban keresendő.
Emiatt számos, a betegekkel kapcsolatos jogi vonatkozású témát újra kell értékelnünk.
Visszatekintve az utóbbi két évtized történéseire, meghatározó jelentőségű volt, hogy 2004-ben hazánk csatlakozott az Európai Unióhoz. Így lehetővé vált a fogászati munkaerő szabad áramlása jellemzően az országból kifelé, és ugyanakkor megnyílt az út a betegek szabad áramlására és az új technikák, módszerek, újabb anyagok, eljárások gyors elterjedésére jellemzően befelé. A továbbképzések nemzetközivé válása is új alapokra került, az új eljárások szinte napok alatt átformálták az egész fogászati szakmát és különösen az implantológiát. Ehhez a COVID járvány még további újabb változásokat hozott.
Az eltelt két évtizedben a fogorvosok egyre tömegesebben lettek vállalkozók és egyre nagyobb számban jöttek létre fogászati magánklinikák és rendelőláncok.
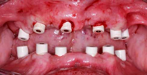
Az európai uniós rendeletekkel való harmonizáció keretében új szakvizsgák, feltételek, követelményrendszer alakult ki a hazai sztomatológiában. Megjelent az új orális implantológia szakvizsga, és egészen új szintre került a többi fogászati szakorvosi vizsga követelményrendszere is. Az új szakvizsgákhoz tartozó követelmények egyben a szakma új szabályainak is tekinthetőek, vagyis jelentős feladat elé állítják a rendelőket. A fejlődést a páciensek is nyomon követhetik az interneten keresztül, és ezzel új, és a réginél sokkal magasabb igényszintű fogászatot, implantológiát elvárásként fogalmazhatják meg. Ha ezt az új színvonalat, a fejlődést kevéssé követő fogorvosi rendelővel szemben várják el, akkor az ott végzett kezelések után kialakulhat a „konfliktus szituáció.” (1–3. képek)
Hatalmas fejlődés figyelhető meg az informatikában. A digitális fogászat térnyerése, a komputerizáció lényegében kettészakította a sztomatológiai szakma képviselőit.
A fogorvosi szolgáltatók, a többorvosos fogorvosi rendelők, magánklinikák és a rendelőláncok kialakulása, és a régen megszokottakhoz képest egészen eltérő működése figyelhető meg.
A 2000-es évek elején a betegek igényei kétharmad részénél a „good enough”, az elég jó megfogalmazás fedte le a valóságot, az átlagos, a megfelelő volt az elfogadott, de ez mára jelentősen megváltozott. A betegek negyedrésze magas – van, aki igen magas, vagy akár szinte elérhetetlen – igényekkel jelentkezik. A tökéletest várja el, sőt, jobb legyen, mint az eredeti! Két évtizeddel ezelőtt a fő szempont a funkcionalitás, a rágóképesség helyreállítása volt, ritkábban húztak ki fogakat, ritkábban készültek körhidak. Ma nagyobb súllyal esnek latba az esztétikai elemek, gyakrabban készülnek körhidak, koronák, héjak, gyakrabban húznak fogat, mert az implantátummal könnyebben helyettesíthető. A tevékenység tendenciája funkcionális dominanciából esztétikai dominanciába megy át. Napjainkra megfigyelhető, hogy a sztomatológiával kapcsolatos érdeklődést egyre inkább az implantológia, a csontpótlás, a digitalizáció körüli történések uralják. Lényegesen megváltozott a tevékenységek, a beavatkozások technológiája. Régebben a páciensek „beteg”-ként viselkedtek, nagyobb volt az orvosok tisztelete, nagyobb volt a távolság orvos és beteg között. Ma a beteg inkább ügyfél, vevő, megfigyelhető öntudatra ébredésük, ismerik jogaikat. A kezdeti időszakban a fogorvosi műhibaperek ritkaságszámba mentek, mostanában szinte mindennapossá váltak! Ezen szempontok mind arra ösztönöznek, hogy sok mindent újra kell értékelnünk.
Amíg 20 éve hirdetés csak korlátozottan jelenhetett meg, jelenleg azt látjuk, hogy a fogorvosi vállalkozások mind nagyobb részére elsősorban az üzleti működés jellemző, a fogászati szakmát gazdasági, marketing szakemberek vezetik. Befektetők hoznak létre rendelőláncokat, és az elsődleges cél - mint minden üzlet esetén - nyilvánvalóan a profit.
Nagy változások figyelhetők meg a páciensek egészségügyi tudását, tájékozottságát, igényeit illetően is.
Maga a fogorvosi ellátás rendkívül sokat változott, és egy-
re gyakrabban felmerülő kérdés páciensben és fogorvosban egyaránt, hogy az adott rendelőben végzett kezelés megfelel-e a korszerűséget jelentő új vagy legújabb eljárásoknak, vagy pedig már elavultnak kell tekinteni. Hol a határ a szakmailag megfelelő, elfogadott, illetve a szakma szabályai szerint már korszerűtlen, így már szabálytalannak számító régi eljárások között? Meddig terjed a régen ismert elv, amely a gyógyítás szabadságáról szól?
Két évtizeddel ezelőtt a 60 év felettiek jellemző módon főként alsó és felső teljes fogsort, kivehető protézist kívántak. Többségük közepesen informált volt, 60-70 százalékuk vett rendszeresen igénybe valamilyen fogászati ellátást. Most a magánorvosi ellátás irányába tolódott el a rendszer, még a 75 év felettiek is gyakran implantátumot szeretnének, 20%-uk rendkívül informált, az internetről tájékozódik.
Az implantológiában inkább a szájsebészeti jellegű témák voltak hangsúlyosak, a manuális eljárások dominanciája volt jellemző. Ma inkább a különleges csontpótlásokról, az előre megtervezett fogpótlásból (backwards planning = visszafelé tervezés) kiindult sebészeti tervezésről esik sok szó, ez vált követelménnyé. A digitális eljárások fölénybe kerültek a manuálisokkal szemben. A régi technológiák folyamatosan kikopnak a gyakorlatból. És itt is kérdés: Mi az, ami megfelel – még vagy már – a szakma szabályainak? Már csak emiatt is sok mindent újra kell gondolni (4–5. képek)
Egyre inkább azt láthatjuk, hogy a fogorvosi, implantológiai perek legfőbb elindítója az, hogy a páciens az egyik rendelőben végzett kezelésekkel kapcsolatos problémáival, kérdéseivel, vagy csak egyszerűen „második vélemény” kérésével egy „másik”, általában magát az interneten hirdető fogorvosi rendelőt keres fel, és az itt kapott vélemény gyakran a „piaci verseny”-ből származó szemléletet tükrözi. Főleg, ha egy hagyományosabb fogászatot művelő rendelő után egy a legújabb technológiákat alkalmazó rendelőbe kerül a páciens. Gyakran találkozunk az előző rendelő munkáját lesújtóan minősítő „szakvéleményekkel”, melyek sokszor rendkívüli magabiztosságot, hihetetlen követelményeket és időnként gátlástalanságot tükröznek. Ezek a másik rendelőben készült vélemények gyakran szöges ellentétben állnak a Magyar Orvosi Kamara Etikai Kódexével, mely kimondja többek között, hogy „Más orvos képzettségét, orvosi tevékenységét (vizsgá-
lati módszereit, a kórismére vonatkozó megállapításait, gyógyító eljárását, műtéti készségét, stb.) vagy magatartását ne bírálja a beteg vagy hozzátartozó előtt, ne tegyen kifogásoló, lekicsinylő, elmarasztaló vagy hitelrontó kijelentéseket”… „Más orvos szaktudásának, tevékenységének, képességének, magatartásának konkrét esettől független, általános bírálata etikátlan, különösen akkor, ha a bírálat beteg kezelésének átvételét célozza vagy eredményezi.”
Ehhez az etikai kódexhez képest a fogászatban, az implantológiában dolgozó igazságügyi szakértők sokszor 2-3 éves diplomával rendelkező fogorvosoktól rendkívül magabiztos „szakvéleményekkel” találkoznak.
A vitás fogorvosi, szájsebészeti, implantológiai ügyekben az igazságügyi orvos szakértők véleményére támaszkodik az igazságszolgáltatás. Jellemző módon a polgári peres ügyek száma szaporodott meg különösen, ahol a szakértők alapvetően kétféle státuszban kerülnek a folyamatba. Egyrészről bírósági végzésben kirendelés alapján, a bíróság és a felek által benyújtott kérdések közül kell készítenie szakértői véleményt, melyet letétből fizetnek ki. Másrészről a bizonyító fél (a panaszos beteg vagy a rendelő) választ szakértőt, és a saját válogatott kérdéseire kér választ, a díjat is maga fizeti. Mindkét eset bizonyító erővel bír. (2016. évi XXIX. tv. az ig.ü. szakértőkről és a 2016. évi CXXX. tv. az új Polgári Perrendtartásról).
A régebben „műhibaperek” néven említett mai vitás esetekben észlelhető, hogy általánosságban meggyengült a társadalom bizalma a fogorvosokban, amiben szerepet játszhat a sokszor meglehetősen tisztességtelen eszközökkel vívott „fogászati piaci verseny”. Tapasztaljuk a bírósági eljárásokban, hogy megszűnt az évtizedeken keresztül érvényes „orvosi immunitás”, mert a páciensek úgy érzik, hogy az orvosokkal szemben nem a régi szemlélet szerinti alárendelt, vagy az
1997. évi CLIV. tv. által sugallt mellérendelt, hanem mint szolgáltatást megrendelő, fizető fél, egyenesen fölérendelt félként tekintenek az eseményekre. Ez a meglehetősen sok esetben tapasztalt tény is az eddigiek újragondolására ösztönöz.
Az ügyvédi és bírósági gyakorlatban, az orvos-beteg jogviszonyban egy rendszeresen felmerülő probléma, hogy az orvosra milyen kötelmek vonatkoznak? Mert alapvető szempont annak megállapítása, hogy kártérítési igény során (2013. évi V.tv. Polgári Törvénykönyvről) - fogorvosi munka esetén - vállalkozási szerződés vagy pedig megbízási szerződés szabályai szerint kell-e eljárni? Vállalkozási szerződés esetén eredménykötelem szerepel, míg megbízási szerződés esetén gondossági kötelem áll fenn. Ez utóbbi azt jelenti, hogy a legkörültekintőbben, a szakmai szabályok betartásával kell a beteget ellátni, de a gondossági kötelem nem jelenti azt, hogy a kitűzött eredmény, a gyógyulás esetleges elmaradása esetén az orvos nem teljesítette a szolgáltatást, vagyis szerződést szegett volna.
A fogászati jogvitákban is a feltételezett „károkozónak” kell a saját szabályos tevékenységét (felróhatóság hiánya) dokumentumokkal bizonyítania, mert a panaszos beteg eleve a „vétkesség vélelme” alapján indítja el a jogvitát, illetve a peres eljárást.
Az alapvető jogi szemlélet szerint minden magatartás, amely kárt okoz, jogellenes. Kivéve, ha a tevékenységet jogszabály vagy szerződés, aláírt megállapodás szabályozza, ha a károsult hitelt érdemlően a tevékenységbe (elsősorban írásos formában) beleegyezett. A fogorvosi területen a jog a keletkezett kárt általában testi sértésként kezelheti.
A bíróságnak – a vitás kérdés eldöntéséhez az igazságügyi szakértői vélemény alapján – meg kell állapítania, hogy keletkezett-e kár, valamint, hogy a kár és a jogellenes, szabálytalan magatartás között van-e ok-okozati összefüggés. Ha a kárt okozó nem láthatta előre, hogy tevékenységéből kár keletkezhet, akkor nem állapítható meg az ok-okozati összefüggés. Ez azt jelenti, hogy a fogorvos kártérítési felelősségének a megállapításához a felperes betegnek bizonyítania kell a fogorvos jogellenes, szabályellenes magatartását, az elvárható gondosság hiányosságait (felróhatóság), továbbá azt, hogy a keletkezett kárt a jogellenesség, szabálytalanság okozta. A jogellenesség, szabálytalanság két alappillére, ha valaki nem a fogorvosi szakmai szabályoknak megfelelően vagy nem az általános társadalmi szabályoknak megfelelően járt el. Itt elsősorban a szakmai protokollok, a módszertani levelek, az irányelvek, az aktuális egyetemi és a szakorvosi vizsga anyagát képező ismeretek, a tankönyvek és szakkönyvek, a Szakmai Kollégium, és a szakfelügyelő főorvos állásfoglalásai a mértékadóak. A fogorvos hibáját, a felróhatóságot akkor lehet elsősorban megállapítani, ha nem volt megfelelő indikáció a beavatkozáshoz, nem került dokumentáltan kivizsgálva az összes szükséges körülmény. Szempont, időben észlelte-e, hogy szövődmény keletkezett, továbbá bebizonyosodott, hogy nem volt a beavatkozásokhoz megfelelő képzettsége a fogorvosnak.
Az implantológiai és fogorvosi jogvitákban gyakorta szereplő sérelemdíj követelése esetén a felperes beteg „ ..az élet, a testi épség és az egészség megsértését” sérelmezi. A sérelemdíj összegében gyakran a „csillagos ég a felső határ”, és ez rendkívül magas rizikót jelent. Mindezek a szempontok a fogor-
vosi, implantológiai praxisok jogi védelmének újragondolását teszik szükségessé.
Harminc évvel ezelőtt állami ösztöndíjasként Hollandiában tapasztaltam a dokumentáció akkori helyét és szerepét a fogászati, szájsebészeti, implantológiai gyakorlatban. Akkor a hazai gyakorlathoz képest úgy éreztem, hogy egy nagyságrenddel több időt töltöttek a fogorvosok, a szájsebészek a dokumentálással, mint az akkori általános hazai gyakorlat volt.
Mára már lehetséges, hogy utolértük ebben a tekintetben a hollandokat? Vagy legalábbis ahhoz, hogy például az implantológiai beteg dokumentációja olyan legyen, hogy az implantációt végző szakember egy esetleges bírósági jogvitában is meg tudja védeni magát, tekintélyes mennyiségű és most már „új típusú” anyagra van szükség. A dokumentáció hiányosságának felvetése – mint szakmai hiba – szinte kivétel nélkül rutinszerűen, az elsők között szerepel a fogorvos perekben. Alapvető törvényi rendelkezés szerint a dokumentáció az orvosé, a rendelőé, de az abban szereplő adatok a beteg tulajdonát képezik. Így azok hiánytalan kiadása, másolat készítése – a beteg költségére - minden egészségügyi intézmény számára kötelező. A páciens alapvető joga, hogy minden orvosi tevékenységhez, akár diagnosztikai vizsgálathoz, akár terápiás beavatkozáshoz az érintett beteg előzetes beleegyezése, a beleegyezéshez pedig előzetes tájékoztatása szükséges. A tájékoztatás tartalma, formája és érthetősége csak akkor bizonyítható, ha az írásban és a páciens által aláírtan történik. A csupán szóban elhangzottak bizonyító ereje minimális.
Amennyiben a tájékoztatás nem kellő volt, vagy utólag megfelelően nem bizonyítható annak megfelelősége, akkor ez már önmagában is kártérítést alapozhat meg. Mivel a beavatkozások kockázatát a páciens viseli, és ha előtte nem tudott tájékozott beleegyezést írásban adni, akkor a fogorvosi felelősség már emiatt is önmagában megalapozott lehet. Vagyis csak a dokumentáció hiányossága önmagában már a kártérítés megalapozottságát jelentheti.
Különösen három olyan neuralgikus pont kerül előtérbe az utóbbi évek implantológiai bírósági eljárásaiban, melyekről aktuálisan kiemelten kell beszélni. Ezek pedig az anamnézis, a kezelési és költségterv, továbbá a tájékozott beleegyezés kérdései. Ezek újra értékelése különösen aktuális minden fogorvosi, szájsebészeti, implantológiai rendelő számára.
A bírósági gyakorlat szerint szinte kivétel nélkül az implantológussal szembeni páciensi ügyvédi vádak között első helyen szerepel a megfelelő anamnézis rögzítés és a dokumentációs kötelezettség elmulasztása, hiányossága. Ez a későbbiekben objektíven láthatóvá válik, mivel a bíróság a dokumentációt kikéri a rendelőtől. A törvény előírja, hogy:
24. § (1) A beteg jogosult megismerni a róla készült egészségügyi dokumentációban szereplő adatait, illetve joga van ahhoz, hogy – a 135. §-ban foglaltak figyelembevételével –egészségügyi adatairól tájékoztatást kérjen.
(2) Az egészségügyi dokumentációval az egészségügyi szolgáltató, az abban szereplő adattal a beteg rendelkezik. Eszerint mindennel - ami a beteggel kapcsolatban készült (dokumentum, röntgenkép, CT, gipszminta, betegkarton, zá-
rójelentés, árajánlat, kezelési és költségterv, anamnézislap, fotó, beleegyező nyilatkozatok stb.) - a beteg rendelkezik, vagyis a rendelő köteles ezeket (másolatban) hiánytalanul kiadni. Kínos helyzet, amikor a fogorvosi rendelőben a betegkartonon csak annyi szerepel: anamnézis negatív, 2 db implantátum, híd átadva, fizetve.
A pácienssel kapcsolatos dokumentációs tevékenység ma már általában nem is az orvossal kezdődik, hanem az adatfelvétellel a recepción, az adminisztráción, illetve az asszisztensnőnél. Itt indul el a folyamat, ami az új páciensek kiszűrését és kiválasztását jelenti. Ezek között fontos, hogy a recepciós az első látogatáskor előzetesen tájékozódjon a beteg problémáiról, elképzeléseiről, állapotáról.
Az anamnézis írásos formáját tartalmazó dokumentáció jelentősége a polgári és büntetőjogi bizonyítékok között meghatározó. Legtöbbször a jó, a pontos és részletes dokumentációval az orvos elkerülheti a felelősségre vonást, a korrekt dokumentáció bizonyító erejű az orvos oldalán, a hiányos pedig általában a beteg törvény előtti igazát valószínűsíti.
Az utóbbi évek bírósági eljárásaiban egyre gyakrabban felmerült kérdés, hogy a páciensről utólag derül ki, hogy valamilyen pszichés problémában, esetleg betegségben szenved, melyet előtte eltitkolt, és a fogorvos időben nem észlelte ennek jeleit. Kevin Dutton (forrás: spring.org.uk ) angol pszichológus készített egy tanulmányt, melyben felmérte, hogy mely szakmákban dolgozik a legtöbb pszichopata. A Nagy Brit Pszichopata Felmérés (Great British Psychopath Survey) szerint a legtöbb pszichopatát foglalkoztató szakmák listája a következő: ügyvezető igazgató, ügyvéd, média személyiség (TV/rádió), értékesítő, sebész, újságíró, rendőr, egyházi munkás, séf, köztisztviselő. A másik csoport, melyet megjelöltek a kutatások, azok a szakmák, ahol a legkevesebb pszichopatával találkozhatunk: szociális munkás, nővér, terapeuta, mesteremberek, kozmetikus, jótékonysági munkás, tanár, alkotóművész, orvos, könyvelő. Kevin Dutton tanulmányában felsorolja az ismertető jegyeket, melyek alapján felismerhetjük a pszichopatákat: önbizalom, magabiztosság, keményszívűség, manipulatív képesség, rettenthetetlen személyiség, aki nem ismeri a félelmet, bájos, elbűvölő magatartás, nyomás alatt is megőrzi a hidegvérét, egocentrikus viselkedés, gondtalanság, nemtörődömség. A tanulmányból viszont következtethetünk arra, hogy milyen esetekben legyünk különösen figyelmesek az anamnézis felvétele során. Implantológiai kezelések során általában a fogorvosi rendelőben a kezelés második felében derülnek ki a pszichés problémák, elfogy a beteg türelme, a jobbnál is jobb eredményt szeretne kapni, semmivel nem elégedett, és ebből a helyzetből jól kijönni már általában nem lehet.
Itt vissza kell térnünk az anamnézis és az anamnézislap jelentőségére. A régebbi időkben megszokotthoz képest több időt kell rászánni az írásos anamnézislap tanulmányozása közben a beteggel való beszélgetésre, a kicsit furcsább megnyilvá-
nulásokra, valamint egyes enyhe hatású gyógyszerek, akár recept nélkül is kaphatóak szedésére. Alaposabban ki kell kérdezni a pácienst, különösen a pszichés állapotra vonatkozóan. Ha még a kezelések megkezdése előtt kiderül a páciens pszichés sajátossága, akkor a kezelés elkerülésével, elutasításával egy gyakran hosszú évekig tartó peres eljárást kerülhetünk el. Ezt sok implantológiával foglalkozó kollégánk tanúsíthatja, akikkel a bírósági padsorokban ülve szűrhettük le ezt a tapasztalatot. Meg kell vallanunk, hogy a pszichés sajátosságok felismerése nem könnyű, ezen kívül rendkívül időigényes és sajátos odafigyelést is igényel. Hasonlóan különösen nagy körültekintéssel kell elbeszélgetni a pácienssel ananézislapjának közös átnézése közben a véralvadásgátló vagy csontritkulás ellenes szerek szedése esetében, daganatellenes kezelések, immunológiai, hormonális és kardiológiai eltérések kapcsán is.
Az implantológiai beavatkozások előtt szükség van a beteg beleegyezéséhez, melyet megfelelő szintű és mértékű tájékoztatás előzzön meg. A bíróság írásos dokumentáció hiányában meg fogja állapítani a beteg személyiségi jogainak megsértését, a fogorvost el fogja marasztalni a kellő tájékoztatás bizonyítatlansága, elmaradása miatt.
Mivel a tájékoztatás jelentős részének írásbeli módon kell történnie, emiatt az utóbbi 1-2 évben az igazságügyi szakértői szempontokat és tapasztalatokat figyelembe vevő, „új típusú” nyomtatványok már „Tájékoztató és beleegyező nyilatkozat implantációs beavatkozáshoz” címet viselve „csomagban” kerültek több rendelőben - igazságügyi szakértővel történt konzultációkat követően - bevezetésre. Amellett, hogy például az implantátum pontos típusát is be kell írni, a kezelés során alkalmazott technikákat, sok részletkérdés is új megvilágításba került. Ugyancsak ilyen „új típusú” külön-külön tájékoztató és beleegyező nyilatkozat formátum szükséges ma már az arcüregemelés, az augmentációk, a csontpótló anyag alkalmazása esetén, a felhasznált anyagok konkrét megnevezésével. Az új típusú „Tájékoztató és beleegyező nyilatkozatok” részletes magyarázatul szolgálnak az elkészítendő és szintén a pácienssel aláíratandó „Kezelési és költségterv”-hez, mely már csak az alkalmazott beavatkozásokat és azok költségeit, körülményeit röviden, vázlatosan, címszavakban tartalmazza. Mindkettőt a beteg az aláírásával fogadja el.
Így később objektíven bizonyítható, hogy a beteg miről és milyen tájékoztatást kapott, mibe egyezett bele, ennek mi volt a tervezett eljárása, továbbá a tervezett költségei. Konkrétan meg kell jelölni az alkalmazott implantátum típusát, elhelyezésének lokalizációját, az alkalmazott csontpótló, membrán, PRF és egyéb anyagokat, azok darabszámát és a költségeket egyaránt.
A tájékoztató és beleegyező nyilatkozatok tehát ma már „új típusúaknak” kell lenniük, mert a 10 vagy 20 évvel ezelőtt elterjedtek már nem nyújtanak valós védelmet egy esetleges jogvita esetén.
Fentiek nem csak magára az ominózus implantológiai beavatkozásra, hanem az egyéb eljárásokra is igazak, így a csontpótlásra, sinus liftre, PRF-re, sőt még a gyökérkezelésre és a fogpótlások elkészítésére vagy a fogszabályozásra is. Ez az oka annak, hogy a Gáspár Medical Center igazságügyi szak-
értői munkája során „Tájékoztató és beleegyező nyilatkozatok fogorvosi rendelők részére” egyedileg rendelőkre szabott „új típusú” csomagok kifejlesztését kezdte meg, a hozzá forduló részben már „bíróságot megjárt”, részben pedig a bírósági ügyeket eddig sikeresen elkerült rendelők jogi védelme érdekében (6–7. képek)
Az egészségügyi törvény II. Fejezetének a betegek jogait és kötelezettségeit tartalmazó részében az 1. Cím rész alatt a következő található:
a) (a betegnek) joga van olyan ismeretek megszerzéséhez, amelyek lehetővé teszik számára az egészsége megőrzésével és fejlesztésével kapcsolatos lehetőségei megismerését, valamint megfelelő tájékoztatáson alapuló döntését az egészséggel kapcsolatos kérdésekben...
A jogszabály első része, melyet sokan BETEGJOGI TÖRVÉNY néven említenek, „megfelelő tájékoztatást” ír elő. De ennél tovább megy, amikor „A tájékoztatáshoz való jog” című részben a 13. § a beteg ügyvédje kezébe adja a következő törvényi rendelkezéseket:
13. § (1) A beteg jogosult a számára egyéniesített formában megadott teljes körű tájékoztatásra...,
b) a javasolt vizsgálatokról, beavatkozásokról…, a javasolt vizsgálatok, beavatkozások elvégzésének, illetve elmaradásának lehetséges előnyeiről és kockázatairól...,
(3) A betegnek joga van a tájékoztatás során és azt követően további kérdezésre.
(8) A betegnek joga van arra, hogy számára érthető módon kapjon tájékoztatást, figyelemmel életkorára, iskolázottságára, ismereteire, lelkiállapotára, e tekintetben megfogalmazott kí-
vánságára, valamint arra, hogy a tájékoztatáshoz szükség esetén és lehetőség szerint tolmácsot vagy jeltolmácsot biztosítsanak. Ezen törvényi rendelkezést szinte kivétel nélkül minden implantológiával kapcsolatos bírósági ügyben az ügyvédek vádként úgy fogalmazzák meg:
„A páciens az orvostól nem kapott teljes körű tájékoztatást, emiatt nem tudott ennek birtokában helyesen dönteni, mert ha tudta volna, hogy mi lesz a beavatkozás következménye, eredménye, akkor nem egyezett volna bele az implantációba.” Mivel a beteg nem fogorvos, nem tudhatta, hogy a kapott tájékoztatás teljes körű volt-e.
A beleegyező nyilatkozatban szerepelnie kell, hogy „Igazolom, hogy elolvastam és teljesen megértettem a fenti nyilatkozatot. Minden kérdésemre kimerítő választ kaptam. A fentiek ismeretében kérem, hogy számomra implantációs fogpótlást készítsenek.”
A kezelésekhez való beleegyezésre idevonatkozó jogszabályrész a beteg önrendelkezési joga kapcsán azt írja:
(3) ...bármely egészségügyi beavatkozás elvégzésének feltétele, hogy ahhoz a beteg megtévesztéstől, fenyegetéstől és kényszertől mentes, megfelelő tájékoztatáson alapuló beleegyezését (a továbbiakban: beleegyezését) adja.
(4) A beteg a (3) bekezdésben foglalt beleegyezését szóban, írásban vagy ráutaló magatartással megadhatja, kivéve, ha e törvény eltérően nem rendelkezik.
(5) Az invazív beavatkozásokhoz a beteg írásbeli vagy –amennyiben erre nem képes – két tanú együttes jelenlétében, szóban vagy más módon megtett nyilatkozata szükséges.
Egyértelmű, hogy minden implantológiai műtét invazívnak
számít, és a bírósági gyakorlat azt mutatja, hogy nem elegendő, ha a beteg formálisan aláírt egy beleegyező nyilatkozatot. Ha a beteg nem követi az orvosi utasításokat, veszélybe kerülhet az eljárás sikere, ezért írásban kell rögzíteni, hogy az eljárás csak akkor vezet sikerre, ha a beteg az orvosi utasításokat maradéktalanul követi.
A peres eljárások elkerülésének kulcsa az implantológiában az előrelátó előkészítés, melynek keretében nagy figyelmet kell fordítani a megfelelő páciens kiválasztására, már a legelső találkozáskor lehetőség szerint ki kell szűrni a problémás pácienseket. A helyes kommunikáció és a részletes „új típusú” dokumentáció is elengedhetetlen feltételek.
Folyamatosan követni kell a szakmai szabályok változását, az új szakorvosi vizsgák szakmai követelményeit, anyagait, elméleti és gyakorlati követelményrendszerét, a szakmai módszertani leveleket, állásfoglalásokat, rendszeresen részt kell venni továbbképzéseken, és ezek dokumentációját meg kell őrizni. Egy implantológiával foglalkozó rendelő életében nélkülözhetetlen a praxis jogi védelmével újra és újra foglalkozni, ennek feltételeit és a megfelelő felkészülést biztosítani, olyan igazságügyi szakértő szakemberek munkáját igénybe venni, akik mind az implantológiai szakmai kérdésekben, mind a jogi területen rendelkeznek az aktuális új ismeretekkel, és segítséget tudnak nyújtani.
A rendkívül felgyorsult változások következtében az implantológiai anamnézis, a kezelési és költségterv, a tájékozott beleegyezés újraértékelése, az utóbbi 1-2 évben megjelent alapvető változások figyelembe vétele minden rendelő számára új kihívásokat jelent.
Dr. William Stewart Halstead volt az első sebész, aki a XIX. század végén a Goodyear gumigyártól orvosi védőkesztyűt rendelt. Ez a szokás csak a XX. század második felében (1965) terjedt el, amikorra kifejlesztették az egyszer használatos eldobható latex kesztyűket, amit gammasugárral sterilizáltak.
Ettől kezdve sebészeti beavatkozásokhoz ezeket használták. Az 1990-es években a hepatitis és a HIV vírus terjedése hozta a következő nagy ugrást a latex kesztyűk alkalmazásában: az egészségügyben egyre többen vettek fel az infekciók megelőzése és a fertőzések terjedésének megakadályozása céljából gumikesztyűt. A 2000-es évek elején a fogászatban is elrendelték az infekciókontroll érdekében a védőkesztyű viselését. Egyrészt a beteget védi a fertőződéstől, eredjen az egy másik betegtől, vagy a fogászati rendelő személyzetétől, másrészt az orvost és asszisztensét is óvja a kórokozóktól. A gumikesztyűk viselése napjainkban még inkább indokolt, hiszen a SARS-CoV2 vírus elleni védekezésben nemcsak az egészségügyi személyzet, de az átlagemberek is ezt hordják. Így kifejezetten aktuális a latex allergiáról írni, hiszen a kesztyűnek mindkét oldalán lehet allergiára hajlamos személy.
A Közép- és Dél-Amerikában őshonos kaucsukfa (Hevea brasiliensis) kérgét megsértve, abból egy tejszerű nedv csorog ki, mely megszilárdulva rugalmas anyagot eredményez. Ebből gyártják a gumit, aminek alapanyaga a latex. A hétköznapi gyakorlatban egyre elterjedtebben használják, amióta 1840-ben feltalálták a vulkanizálást. A latexre az első allergiás reakciót 1927-ben Németországban, egy csecsemőn észlelték.
A gumi cis-1,4-polyisopren láncból áll, melyet a preniltranszferáz enzim akár 105-106 Da molekulasúlyú egységekké alakíthat. Az elongációs faktorban 15 különböző Hev b proteint mutattak ki, melyek közül a latex profilin (Hev b 5) és a hevein (Hev b 6) a leginkább allergének, de a Hev b 1 és Hev b 3 (elongációs proteinek) a spina bifidások részére tekinthetők major allergénnek. A hevamin (Hev b 14) egy 30 kDa nagyságú protein, aminek lizozim és kitináz aktivitása van, a pathogenezis related (PR) fehérjék családjába tartozik. Szerepe van a latex-gyümölcs keresztreakciók létrejöttében. A kitináz (Hev b 11) az IL-13 indukálta Th2 reakciók fontos
mediátora. Az akut allergiás reakciókat I-es típusú, IgE mediált hiperszenzitivitás váltja ki, a későbbiekben jelentkező tünetek IV-es típusú allergiás válasz révén jönnek létre. A gumikesztyűk eleinte összeragadtak, egy kis pára hatására már szinte használhatatlanokká váltak. Ezt megakadályozandó púdert szórtak a kesztyű belsejébe. A púderezésre használt kukoricakeményítő kötődik a fehérjékhez, ezáltal hordozójává válik az allergénnek. Így nemcsak helyi hatást (bőrtüneteket) vált ki, hanem belélegezve légúti panaszokat is okozhat. Ritkán, de anafilaxiás reakció is létrejöhet. A púderezés elhagyása (2017-ben tiltották be) jelentősen csökkentette az egészségügyi személyzet latex kiváltotta allergiás tüneteit.
Leggyakoribb a IV-es típusú hiperszenzitivitás alapján létrejövő kontakt dermatitis, ekzema, kontakt urticaria. A szájnyálkahártyán megnyilvánuló tünetek: égő érzés, fájdalom, szájszárazság, illetve stomatitis, cheilitis alakulhat ki. Ezek a tünetek néhány óra, pár nap alatt jelennek meg, a Hev b 3 allergénhez kötik létrejöttüket. Az I-es típusú allergiás reakciók ritkábbak, de súlyosabbak. Ennek következménye lehet generalizált urticaria, ekzema, de orrfolyást, tüsszögést, köhögést, allergiás rhinitist, conjunctivitises és asztmás tüneteket is okozhat. A latex allergén közvetlen kontaktus révén a bőrön, a nyálkahártyán, illetve inhalált formában a légutakon keresztül bejuthat a szervezetbe és allergiás, súlyos esetben anafilaxiás tüneteket válthat ki. A gasztrointesztinális tünetek a szisztémás reakció részjelenségei lehetnek, de az ételkészítés során viselt latex kesztyűtől akár kontamináció is előfordulhat.
Manapság már az élet minden területén találkozhatunk latex-tartalmú anyagokkal. A csecsemőkori kontaktus a játék és etetőcumikkal kezdődik, majd folytatódik a gumijátékokkal, ruhák, pelenkák gumírozásával (1. táblázat). Később is öltözködési és használati tárgyaink része a gumi, a sport-
Cumi (etetőcumi, játék cumi)
Pelenka-ragasztószalagok
Ruha gumírozása, esőkabát
Papucs, cipő, gumicsizma
Konyhai gumikesztyű (mosogatáshoz, takarításhoz)
Léggömb, labda, sportszerek, radír
Condom
TV távirányító gombja
Matrac, úszógumi, búvárfelszerelés
Autógumi, kerekesszék alkatrészek
1. táblázat: Latex tartalmú használati tárgyak.
Gumikesztyű
Kofferdam izoláláshoz használható gumilepedő (Rubber dam vagy dental dam)
AMBU ballon, AMBU maszk, intubáló tubus
EKG elektróda
Fonendoszkóp csöve, vérnyomásmérő mandzsettája
Injekciós fecskendők, infúziós szerelékek
Katéterek, szívók
Oxigénszonda
Ragtapaszok, rugalmas kötszerek
2. táblázat: Latex tartalmú egészségügyi eszközök.
szerekben is gyakran előfordul. Kiemelkedő fontosságú a latex egészségügyi felhasználása (2. táblázat, 1. ábra). Itt egyrészt a beteget érinti a latex, amely a műtétek, fogászati beavatkozások során leginkább a nyálkahártyával érintkezve okoz szenzibilizációt. A gumikesztyű másik oldalán azonban az egészségügyi személyzet van, akiknél szintén kialakulhat allergiás reakció. Foglalkozási ártalomként jelentkezik a gumigyártásban, az élelmiszeriparban dolgozóknál, a takarítóknál és a fodrászoknál is.
A nem atópiás normál populációban 1% alatti a latex szenzitivitás mértéke (vérből specifikus IgE meghatározással igazolva), az egészségügyi személyzet körében mérve ez 10-12% közötti. Az egészségügyben eltöltött évek számával arányosan emelkedik a latex-érzékenység gyakorisága. Fogászok körében végzett felmérés szerint a leggyakoribb foglalkozási allergén a latex. Ennek aránya azonban csökkenhet, mivel egyre inkább latexmentes termékeket használnak a gyakorlatban. Latex-allergia kialakulására predisponáló tényező az atópiás alkat, illetve a spina bifida, vagy az urogenitális fejlődési rendellenesség miatti gyakori műtét egyéves kor alatt. Spina bifidások között 40-65%-os a latex-allergia előfordulási gyakorisága.
Az utóbbi években a gumikesztyűk és egyéb gumiáruk gyakoribb használata miatt a latex-allergiások száma világszerte egyre emelkedik. Három évtized alatt a kesztyűhasználat a 25-szörösére növekedett. Itt elsősorban az egészségügyi személyzet érintett. Amerikai statisztikai adatok a műtőben fellépő anafilaxiás reakciók 16,6%-ában a latex szerepét igazolták. Ilyenkor hamarabb gondolnak egyéb okokra (gyógyszerek iránti érzékenység, aneszteziológiai reakció), mint a latex-allergiára. Ez részben a későbbiek szempontjából lényeges, hogy a beteg latex-szel való érintkezése ne ismétlődjön, másrészt az ellátás során újabb és újabb latex felhasználásával készült eszközök alkalmazása ronthatja a páciens állapotát.
A diagnózis felállítására IgE mediált formák esetén a bőrpróba elvégzése, vagy vérből a latex specifikus IgE meghatározása ajánlott. Anafilaxiás reakció után kizárólag az utóbbi végezhető. A IV-es típusú hiperszenzitivitás patch teszttel mutatható ki. (A hát bőrére tett allergénnel átitatott korong helyén létrejövő korai és késői reakciót vizsgáljuk.)
Ezeknél a teszteknél gondot jelent, hogy a különböző cégek más anyagokból készítik a latex-tartalmú egészségügyben használatos tárgyakat, más allergéneket, különböző menynyiségű proteineket tartalmaznak. A tárolás módja és ideje is befolyásolhatja ezeket a tényezőket. Így a különböző tesztek szenzitivitása csak 50-90% körüli.
Anafilaxiás reakciót követően 30 percen belül levett vérből meghatározható a B-triptáz szint. Amennyiben ez meghaladja az 1 ng/ml-t, az anafilaxia igazolható. Ez a vizsgálat nem specifikus az allergénre, csak a masztocitákból felszabaduló mediátorok mennyiségét határozza meg. A bazofil aktivációs teszt inkább tudományos célokat szolgál.
Említést kell tenni a latex-gyümölcs keresztreakciókról. Kimutattak egy 30 kDa-os epitopot, amely mind a latexben, mind a banánban, a kiviben, a gesztenyében és az avokadóban is megtalálható. A Hev b 2 és Ban Gluc (1,3-béta-glukanáz) allergénekben 5 felszíni epitóp egyezése igazolt. Ezen kívül még több más gyümölccsel, zöldséggel is megfigyeltek keresztreakciót. Csecsemőkorban a latexből készült cumik (etető és játék cumik) válthatnak ki perioralis dermatitist,
amely tejérzékenységtől, vagy egyéb táplálék-allergiától különítendő el.
A latex tartalmú eszközök, használati tárgyak kerülése a latex-érzékenység jelenleg egyetlen megoldása, amely a szenzitizáció megelőzésének tekinthető. Ez a spina bifidás és urogenitális fejlődési rendellenességgel született újszülöttek esetében nagyon célravezető módszer. Az egészségügyben is egyre inkább elterjedt a latexmentes kesztyűk használata. A mindennapi életben is javasolt a gumi kontaktus után létrejött bőrtünetek esetén a latex kerülése. A beteget tájékoztatni kell a latex-allergia fennállásáról, a súlyos anafilaxiás reakció lehetőségéről. Javasolt az egészségügyi iratok között, vagy a személyi igazolványban egy figyelmeztető papírt hordani a latex-allergia tényéről. Az anafilaxiás reakciót az aktuálisan érvényes protokollok szerint, de a latex-mentesség figyelembevételével kell kezelni. Elsődle-
• Ramsey A, Brodine AH: Allergy topics for dental practitioners. Gen Dent 2019; 67(4): 38-45
• Syed M, Chopra R, Sachdev V: Allergic reactions to dental materials – A systematic review. 2015 doi: 10.7860/JCDR/2015/15640.6589
• Critchley E, Pemberton MN: Latex and synthetic rubber glove usage in UK general dental practice: changing trends. Heliyon 2020; 6(5): e 03889, doi: 10.1016/j.heliyon.2020.e03889
• Nucera E, Aruanno A, Rizzi A, Centrone M: Latex Allergy: Current status and future perspectives. J Asthma Allerg 2020, 13: 385-398. doi: 10.2147/JAA.S242058
• Wu M, McIntosh J, Liu J. Current prevalence rate of latex allergy: why it remains a problem? J Occup Health. 2016;58:138–144. doi:10.1539/joh.15-0275-RA
• Hidvégi E, Cserháti E, Arató A: Kinél okozhat a latex csecsemőkori ekzemát? Gyermekgyógyászat 1999, 50: 160-162.
ges az adrenalin intramuszkulárisan történő adása, majd i.v. folyadék, steroid, antihisztamin alkalmazása javasolt. Jelenleg Magyarországon epinefrint tartalmazó autoinjektorból 2 féle (gyermek és felnőtt dózisú) szerezhető be, melyet a beteg állandóan magánál hordhat az anafilaxiás reakció kialakulása esetén történő azonnali beadásra. Az intubációs tubusok, az infúziós szerelékek egyre inkább latex-mentesek, azok gumirészének átszúrása is újabb allergén molekulákat szabadíthat fel. A gumidugós porampullában forgalmazott gyógyszerek oldásakor az oldószer lehetőleg ne érintkezzen a dugóval, így alkalmazható latex-érzékenyeknek is. A latex aeroallergének ellen alkalmas a műtősmaszk viselése.
Sikeres hiposzenzibilizáló kezelésről is beszámoltak gyermek- és felnőttkorban, de volt, aki ennek során súlyos mellékhatásokat észlelt. Magyarországon ez jelenleg még nem érhető el.
A latex allergia érintheti mind az orvost, mind a páciensét. Az egészségügyi személyzet a legveszélyeztetettebb a latexallergia szempontjából, így a fogászati rendelőkben különös figyelmet kell fordítani a kesztyűviselés következtében létrejövő enyhe/közepesen súlyos dermatitisekre, törekedni kell a latex expozíció kerülésére. A betegek körében fontos az anamnézis során rákérdezni az esetleges latex allergiára, valamint az ismerten atópiás egyéneknél a műtétek során előfordult anafilaxiás reakciók is utalhatnak a gumikesztyű érzékenységre.
• Buss ZS, Kupek E, Fröde TS: Screening for latex sensitization by Questionnaire: Diagnostic performance in health care workers. J Investig Allergol Clin Immunol 2008, 18(1): 12-16.
• Vandenplas O, Raulf M: Occupational latex allergy: the current state of affairs. Curr Allergy Asthma Rep. 2017. 17(3):14. doi: 10.1007/s11882-017-0682-5.
• Bernardini R, Peccora S, Milani M, Burastero SE: Natural rubber latex allergy in children: clinical and immunological effects of 3 years sublingual immunotherapy. Eur Ann Allergy Clin Immunol 2008, 40: 142-147.
• Nucera E, Mezzacappa S, Buonomo A et al: Latex immunotherapy: evidence of effectiveness. Postepy Dermatol Allergol 2018, 35(2): 145-150. doi: 10.5114/ada.2018.75235
• Barre A, Culerrier R, Granier C et al: Mapping of IgE-binding epitopes on the major latex allergen Hev b 2 and the cross-reacting 1,3beta-glucanase fruit allergens as a molecular basis for the latex-fruit syndrome. Mol Immunol 2009, 40:1595-1604.
A biszfoszfonátok kalcium metabolizmusra vonatkozó hatását az 1970-es években fedezték fel. Az általános orvoslásban a 20. század második fele óta használt vegyületek. Ma már a legfőbb gyógyszercsoportnak számítanak a csontreszorpcióval járó csontbetegségek kezelésében. Elsősorban Paget-kór, myeloma multiplex, csont áttétek és felnőttkori csontritkulás terápiájában használják.
Fogászati jelentőségük az egyik legsúlyosabb mellékhatásuknak, a biszfoszfonát okozta oszteonekrózisnak köszönhetően került előtérbe. A mindennapi gyakorlatban sokszor találkozunk biszfoszfonát tartalmú gyógyszert szedő betegekkel. Mivel ezek a vegyületek a csontok élettanára hatnak, így befolyásolják a kezelés menetét. A páciensek gyakran nem tudják, hogy milyen típusú gyógyszert szednek, tehát a szükséges fogászati teendőkkel (szanáció, rendszeres fogászati ellenőrzés) sincsenek tisztában. A biszfoszfonát terápiát érintő vizsgálatok központi eleme a terápia variációs lehetőségeinek vizsgálata a következményes betegségek tükrében. A témában folytatott kutatások eredményei nem egyértelműen vonatkoztathatóak minden betegre. Ezért külföldön és Magyarországon is kezelési protokollok szerint történik a betegellátás.
Közleményünk célja a biszfoszfonátok farmakológiájának ismertetésén keresztül a biszfoszfonát terápia indikációjának, az alkalmazott gyógyszereknek és terápiás protokolloknak a leírása, valamint a biszfoszfonát terápiában részesülő betegek konzerváló fogászati, fogpótlástani és szájsebészeti ellátási lehetőségeinek összefoglalása. Ezen kívül ismertetjük a kúra mellékhatásait és a terápiás szövődmények ellátási módszereit.
A biszfoszfonátok a 19. század közepe óta ismert vegyületek. Herbert Fleisch, a modern kori biszfoszfonát terápia atyja számos közleményében állítja, hogy az első ilyen
származék előállítása Németországban történt egy orosz kémikus, Menschutkin által (Fleisch 1998, 2007), aki ekkor a vegyületcsoportot tévesen diszfoszfonátnak nevezte el (Menschutkin 1865). Egy 2011-es közlemény azonban ezt a tényt több szempontból cáfolja. Petroianu szerint az első biszfoszfonát vegyület szintézise valóban a 19. században, de 30 évvel később, 1894-ben történt meg Theodore Salzer kémikus által, aki azonban a létrehozott új anyagot nem azonosította. Így a biszfoszfonátok identifikálása elhúzódott. 1896-ban egy fiatal kutató, Hans von Baeyer és apja, Adolf voltak azok, akik szintén előállították ezt az új anyagot a müncheni Royal Academy of Sciences épületében. Először „Dreck”-nek, vagyis szemétnek nevezték el, de Hans kitartásának köszönhetően a kutatás tovább folytatódott (Petroianu 2011). Egy év elteltével ők publikálták az anyag szintézisének folyamatát (Baeyer, Hofmann 1897, Naumann 2003).
Az első helyes biszfoszfonát, vagyis acetodifoszforsav kémiai szerkezetet pedig 1901-ben Hoffmann diákja, Wilhelm Heidepriem erősítette meg (Heidepriem 1901). Ezek után még több mint fél évszázadnak kellett eltelnie a biszfoszfonátok klinikaitól független és klinikai hatékonyságának teljes felismeréséig (Francis 2007).
A biszfoszfonátokat eleinte a textil- és olajiparban, valamint műtrágyagyártás során használták a vízkövesedést gátló hatásuk miatt. Alkalmazásuk ötlete a pirofoszfátoktól ered, mivel ismert tény, hogy a pirofoszfátok gátolják a kalcium-foszfát csapadék képződést (Fleisch 1962), ezért használják őket ma is vízlágyító adalékként mosószerekben. Inorganikus pirofoszfáttal végzett laboratóriumi kísérletekben igazolták, hogy a vérplazma és a vizelet kis mennyiségben tartalmaz olyan anyagokat, amelyek megakadályozzák a kalcium-foszfát kicsapódását és a kalcium-foszfát kristályok bomlását. Ezt a tulajdonságot a pirofoszfátoknak (PPi) tulajdonították. In vivo kísérletekben bebizonyították, hogy a pirofoszfátok befolyással vannak a kalcifikáció-dekalcifikáció folyamatára. Barriert képeznek a csontfelszíneken, így védik a csontot az ektópiás kalcifikációtól, azonban hatástalanok mint csontlízist gátló anyagok, és a normál mineralizációt sem befolyásolják. Ez valószínűleg a gyors eliminációjuknak köszönhető, hiszen enzimatikus úton ortofoszforsavvá hid-
rolizálnak (Fleisch 1966, 1969, 2011, Russel 1970).
Ezen tulajdonságok ismeretében a kutatók olyan pirofoszfát-analógokat kerestek, melyek hasonlítanak a pirofoszfátokra, mégis ellenállnak az enzimatikus hidrolízisnek. Ezt a követelményt a biszfoszfonátok teljesítették (Francis 1969, Fleisch 1969). A biológiai hatásukról szóló első közlemény 1968-ban jelent meg (Fleisch 1968), majd az 1970-es évektől kezdték őket alkalmazni az általános orvoslásban a csontrendszer megbetegedései kapcsán: csontáttétek esetén és a kalcium anyagcsere zavaraiban (Vaszilkó 2011).
1.1 Kémiai szerkezet
A biszfoszfonátok a pirofoszfátokhoz nagyban hasonlító vegyületek, azzal a különbséggel, hogy P-O-P kötés helyett P-C-P kötéssel rendelkeznek. Ez az úgynevezett biszfoszfonát kötés (Gyires 2011). A P-C-P szerkezet számos variációs lehetőséget rejt magában. A szénatomhoz csatlakozó R1 és R2 oldalláncokon történő apró változtatásokkal kiterjedt fizikokémiai, biológiai, terápiás és toxikológiai tulajdonságok módosulása érhető el (Fleisch 2002). Két alapvető szerkezeti elemük van: a hidroxil csoportokkal rendelkező foszfonátok, valamint a C-oldalláncok. A csontmátrixhoz való kötődésért, antireszorptív hatásért a két foszfonsav rész felelős. Az R1 helyen lévő hidroxilcsoporttal együtt ez a rész az úgynevezett „bone hook”, ami a biszfoszfonátok csonthoz való gyors és hatékony kikötődéséért felelős. A másik C-oldallánc szerepe a kötődés potenciáljának meghatározása. Számos forgalomban lévő biszfoszfonátot ismerünk, közöttük a C atomhoz kapcsolódó láncokban van különbség. Az első gyógyszerként alkalmazott, metilcsoportot tartalmazó anyag az etidronát volt. Az újabb generációk képviselői sokkal hatékonyabbak, ezek az aminocsoportot is tartalmazó vegyületek. (Huber 2014). Az R1 pozícióban általában előforduló hidroxil csoport növeli a kalciumionhoz való kötődés affinitását, azáltal elősegíti a csont felületén való megtapadást. Változatlan R1 és módosított R2 láncokkal még potensebb molekulák jönnek létre, főleg nitrogéntartalmú láncok esetében. Az R2 lánc felel a biológiai aktivitásért és befolyásolja a molekula képességét, hogy más specifikus célmolekulákkal lépjen interakcióba. A leghatékonyabb biszfoszfonát molekulák heterociklusos gyűrűben hordozzák a nitrogénatomot (Graham 2007).
A biszfoszfonátok gyorsan kötnek a csontban lévő kalcium-foszfát kristályokhoz az aktív csontmetabolizmus helyén és terápiás koncentrációt érnek el. Ellenállók a kémiai és enzimatikus hidrolízissel szemben. Már alacsony koncentrációban is meggátolják a csontreszorpciót, a kalcium-foszfát kristályok növekedését, aggregációját és oldódását. Tehát beleavatkoznak a csontmineralizáció folyamatába. Azonban a csontreszorpciót az oszteoklasztok metabolizmusára és
funkciójára közvetlen hatva is korlátozzák. A biszfoszfonátok csontreszorpció során szabadulnak fel, majd az oszteoklasztok bekebelezik őket. Így gátolják az oszteoklasztok képződését, csökkentik aktivitásukat és kedveznek az oszteoblasztoszteoklaszt egyensúlynak az apoptózis következtében. Ez a hatás csökkent csont turnoverhez vezet, vagyis másodlagosan gátolja a csontreszorpciót (Green 2004, Gyires 2011).
Ahogy oldalláncukban, úgy hatásmechanizmusukban is különbözben az aminobiszfoszfonátok a nem aminobiszfoszfonátoktól. A nitrogént nem tartalmazó származékokból nem hidrolizálható ATP-analógok keletkeznek. A lebontást csontreszorpció által aktivált oszteoklasztok és oszteolízis által stimulált tumorsejtek védik. A létrejövő ATP-analógok (Apppi) citotoxikus hatásúak, megakadályozzák a sejtanyagcseréhez szükséges enzimek működését. A biszfoszfonátok csont iránti specifikus affinitása és az aktivált oszteoklasztok által történő internalizáció biztosítja, hogy ezek a metabolitok csak oszteoklasztokon belül akkumulálódnak és érnek el citotoxikus koncentrációt. Bár oszteolízist indukáló tumorsejtekben is képesek felhalmozódni.
Ezzel szemben az aminobiszfoszfonátok más mechanizmussal hatnak. Internalizációjuk után a koleszterinszintézis (mevalonsav útvonal) folyamatába avatkoznak be. Egy központi enzimet gátolnak, a farnezil-pirofoszfát szintetázt, így csökkentve olyan vegyületek mennyiségét, melyeknek a possztranszlációs módosításokban van szerepük, vagy szignálmolekulák a sejtproliferáció, sejttúlélés, citoszkeletális szerveződés folyamatában (Green 2004). A preniláció mértéke csökken, ami a kis GTP-ázok zavart működéséhez vezet. Ennek eredményeképpen zavart szenved az oszteoklaszt citoszkeletonjának organizációja, az extracelluláris adhéziós fehérjék szintézise. Enélkül az oszteoklaszt nem képes a csontfelülethez kötődni és reszorbeálni (Gyires 2011). Újabb kutatások szerint az aminobiszfoszfonátok szintén indukálják ATP-analógok létrejöttét a farnezil-pirofoszfát szintetáz gátlásának köszönhetően felhalmozódó izopentanil-pirofoszfátból, vagyis direkt apoptotikus hatásuk hasonló a nem aminobiszfoszfonátokéhoz.
Kiterjedt preklinikai bizonyítékok vannak arra, hogy a biszfoszfonátoknak emellett direkt tumorsejt növekedést, túlélést és csontkolonizációt gátló hatásuk is van. A csontdaganatok mellékhatásaira kedvezően hatnak, csonton kívüli antitumor hatásuk már kérdéses. A hatás talán annak köszönhető, hogy a biszfoszfonátok kevéssé vonzó hellyé teszik a
csontot a tumorsejtek növekedéséhez. Ezt az oszteoklaszt mediált csontreszorpcióval, oszteoklasztgenezissel, és ezek következtében a növekedési faktorok felszabadulásának csökkentésével érik el. Az biztosan kijelenthető, hogy direkt indukálják a tumorsejtek apoptózisát, megakadályozzák a sejtadhéziót az extracelluláris membránfehérjékhez, csökkentik a daganatsejtek metasztatizáló aktivitását és az angiogenezist. Folyamatosan vizsgálják ezen hatások mechanizmusát, a pontos molekuláris mechanizmus kiderítésére és a megfelelő dózisok, kombinációk alkalmazására vonatkozóan kísérletek folynak (Green 2004).
A biszfoszfonátok megelőzik a kísérletesen indukált lágyszöveti kalcifikációt többek között artériákban, vesékben, bőrben, parenterális és per os alkalmazáskor is. Megfelelő dózisban némely biszfoszfonát (például az etidronát) károsítja a normál mértékben kalcifikálódott csontot, porcszövetet, de akár a dentint, zománcot és cementet is. A szer abbahagyása után visszafordulnak a folyamatok. Az ektópiás csontmineralizáció gátlása legvalószínűbben a kristálynövekedés fizikokémiai gátlásának köszönhető (Fleisch 2002).
A biszfoszfonátok felszívódása a gyomor-bél rendszeren keresztül nagyon rossz. Az orális biszfoszfonátok alkalmazási javallata: reggel, éhgyomorra, 2 dl tiszta vízzel kell bevenni, mert minden egyéb folyadék (tea, ásványvíz, kávé) gátolja a felszívódást, és közel egy órát érdemes várni más gyógyszerek bevételével, illetve az étkezéssel.
Ilyen módon az alkalmazott adag maximum 1-10%-a képes felszívódni. Az oldallánccal rendelkező molekulák jelentős mértékben (80-90%) kötődnek fehérjékhez, a fennmaradó rész változatlan formában a vesén keresztül kiürül. A terápiás hatékonysághoz magától értetődően szükséges a hatóanyag csonthoz jutása. A gyenge gasztrointesztinális felszívódási rátára és a rossz „compliance”-re való tekintettel súlyosabb csontvesztő állapotokban az ajánlások az intravénás adagolást preferálják (Lakatos 2012). A biszfoszfonátok parenteralis alkalmazáskor egy órán belül 60%-ban a csonthoz kötődnek, az oszteoklasztokba bekerülve azonnal kifejtik hatásukat. A beadás után a csontokban felhalmozódnak, majd onnan szabadulnak fel folyamatosan, fél életidejük 10-25 év. Hatásuk az adagolás abbahagyása után 1-2 évvel még kimutatható (Gyires 2011).
Az első generációs biszfoszfonátok közé a nitrogént nem tartalmazó származékok tartoznak. Ilyenek az etidronát és a klodronát. Az etidronát volt az első olyan gyógyszer, amely forgalomba került. Használata az 1970-80-as években terjedt el. Csontmineralizációt erélyesen gátló hatása oszteomaláciához vezethet, ezért használata visszaszorult. Az etidronátot egységnyi hatású biszfoszfonátnak tekintjük, ehhez viszonyítjuk a többi vegyület hatékonyságát. A klodronát az etidronátnál tízszer hatékonyabb molekula (Graham, Russel 2007, Gyires 2011, Huber 2014).
A második generációtól megjelennek az oldalláncukban nitrogénatomot tartalmazó vegyületek. Ezek erősebben, nagyobb affinitással kötődnek a hidroxiapatithoz. Hatékonyságuk 10-100-szorosa az első generációs vegyületekének.
Primer amin a pamidronát, szekunder és tercier aminok az inkadronát, ibandronát és olpradonát. A leghatékonyabb anyagok aromás gyűrűben tartalmazzák a nitrogént, ide tartoznak a rizedronát és a zoledronát. Csontoldódást gátló képességük nagyon magas, antireszorptív hatásuk eléri az etidronát hatásának akár 10 000-szeresét (Huber 2014). A maximális potenciál eléréséhez a R2 láncon lévő nitrogénatomnak kritikus távolságban és specifikus térbeli konfigurációban kell lennie a P-C-P lánctól. (Graham, Russel 2007). A biszfoszfonátok alkalmazásának előtérbe kerülésével a kutatásuk, az újabb és hatékonyabb molekulák felfedezése folyamatos.
2.1. Indikáció
A biszfoszfonátok kalcifikációt indukáló és csontreszorpciót gátló hatásának kísérletekben való igazolása után nyilvánvaló volt az indikáció területe, elterjedésük mégis sok időbe telt. Az első klinikai alkalmazások kalcifikáció gátlására történtek fibrodysplasia ossificans progressivában (korábban myositis ossificansként volt ismert) és csípőprotézis műtétekhez kötődtek, hogy megakadályozzák a heterotópiás osszifikációt és javítsák a mobilitást. Egyike volt az első használatoknak, és ma is használják csontmonitorozásra, úgynevezett „bone scanning”-re a biszfoszfonátokat, mely a csontáttétek és egyéb csontléziók diagnosztizálására alkalmas metódus. Ez a lehetőség annak köszönhető, hogy a biszfoszfonátok képesek erősen kötődni a csontszövethez és g emittáló technécium izotóphoz is kapcsolhatók. (Graham 2007).
Az utóbbi évtizedekben a biszfoszfonátok alkalmazása alapvetővé vált az onkológiában. A vegyületcsoport elsőrendű gyógyszere a csontáttéttel járó daganatos betegségeknek, úgymint emlőtumor, prosztatadaganat, pajzsmirigy-, tüdővagy vesekarcinóma (Somogyi 2011). A csontmetasztázisok megbontják a normális csonthomeosztázist, vagyis az oszteoklasztok és oszteoblasztok által működtetett oszteolízis és oszteogenezis egyensúlyi rendszerét. A csontintegritás megbomlása csontvázrendszeri betegséghez vezethet, ami csontfájdalmat, patológiás törést, gerincvelő és ideg kompressziót, malignus hiperkalcémiát foglal magában (Coleman 2008). A biszfoszfonátok jótékony hatással bírnak a csontot elsődlegesen érintő daganatok esetében is. Alkalmazzák tumoros eredetű hiperkalcémia terápiájában, időskori oszteoporózisban, valamint fokozott csontanyagcserével járó betegségekben: Paget-kór, myeloma multiplex, oszteogenezis imperfekta, fibrózus diszplázia, heterotópiás oszszifikáció. Paget-kórban képesek pár hét alatt normalizálni a csont turnoverét és akár teljes panaszmentesség is elérhető. Oszteogenezis imperfektában a csonttörést egyedüli hatékonyan biztosító gyógyszerek. Hiperkalcémiás állapotokban a kalcium csontba történő bejuttatása révén csökkentik a szérum kalciumszintjét. Alkalmazásukkor fontos az adekvát kalcium és D3-vitamin pótlás. (Somogyi 2011). Mindemellett enyhítik a tumor és a metasztázisok okozta fájdalmat, javítják a beteg életminőségét. Nem csak a kezelésben, de a vázrendszert érintő áttétes megbetegedések prevenciójában is effektívek (Coleman 2008).
Az elsőként szintetizált molekula az egységnyi hatékonyságú etidronát volt. Jelenleg inkább fogkrémekben alkalmazzák, mint cariesprotektív anyagot (Huber 2014).
A klodronát tízszer hatékonyabb vegyület, jobb a csontbontást gátló képessége és kevésbé okoz mineralizációs zavart (Gyires 2011). Manapság a leggyakrabban alkalmazott anyagok az alendronát, rizedronát, ibandronát, zoledronát.
Az alendronát hatékonysága körülbelül ötezerszerese az etidronáténak. Heti egyszeri 70 mg-os adagban használják, napi adagja 10 mg lenne. A csontsűrűséget növeli, a csonttörés kockázatát akár 40-60%-kal képes csökkenteni. Valamint direkt daganatellenes hatása van. Hosszú távon alkalmazható valószínű mellékhatások nélkül (Gyires 2011).
A rizedronátot napi 5 mg-os vagy heti egyszeri 35 mg-os adagban alkalmazzák. Használata mellett kimutatható a csigolyatörések számának csökkenése. Idős női betegekben a csípőtörés kockázatát is csökkenti (Vaszilkó 2015).
Az ibandronát molekulát havi egyszer 150 mg-os tabletta formában vagy 3 havonta egyszer intravénás injekció formájában használják, mely szintén hatékony az oszteoporózis terápiájában. Napjainkban a parenterális kezelési forma terjedt el, mellyel jobb eredmények születtek, a biológiai markerek mennyisége csökkent, a csontdenzitás pedig nőtt (Vaszilkó 2015).
Kifejezetten erélyes antireszorptív kezelés az évente egyszer adott 5 mg-os zoledronát injekció. A csigolyatöréseket már az első két évben 70%-kal csökkenti. Csontmetasztázis esetén az életminőséget javítja, viszont a túlélésre nincs befolyással. Myeloma multiplexben azonban ilyen hatással is rendelkezik. Csontáttétek esetén úgynevezett mikrokörnyezetben hatva gátolja a daganat progressziót. Indirekt hatást fejt ki az antitumor immunválasz aktiválásán keresztül (Vaszilkó 2015).
A farmakológia alapjai című tankönyv táblázatban foglalja össze a használt biszfoszfonátok kémiai szerkezetét, terápiás indikációját és klinikai dózisukat.
Az alkalmazás per os és parenterális formában egyaránt történhet. A szájon át történő adagolás esetén 30 perccel a bevétel után nem szabad lefeküdni, ételt és italt fogyasztani, ez a heti-havi adagolás mellett lényegesen megterheli a betegeket. Az intravénás alkalmazás elterjedésével olyan betegek számára is elérhetővé vált a biszfoszfonát kezelés, akik számára gyomor-bélrendszeri betegségek, illetve felszívódási zavarok miatt kontraindikált volt a per os használat.
A parenteralis biszfoszfonátok kényelmesek (évente vagy negyedévente egyszeri injekció), kimagaslóan hatékonyak és a nem kooperatív betegek esetén is biztosak lehetünk a gyógyszer bevitelében (Somogyi 2011).
A rosszindulatú daganatok kezelésében alkalmazott más terápiákhoz viszonyítva a biszfoszfonát kezelés mellékhatá-
sai általánosságban véve kevéssé gyakoriak és kevésbé súlyosak. A biszfoszfonátok alkalmazásának előnyei majdnem minden esetben felülmúlják a lehetséges szövődményeket. Ettől függetlenül a biszfoszfonát terápiában részesülő betegeknek nagyon sok mellékhatással kell megküzdeniük, kezdve az enyhe hányingertől a súlyos állcsontnekrózisig. Ezek elkerülésére nagy gondot kell fordítani. A mellékhatások főként az alkalmazás módjával állnak szoros kapcsolatban (Coleman 2008).
Gasztrointesztinális panaszok elsősorban a biszfoszfonátot tabletta formában szedő betegeknél jelentkeznek. Émelygés, hányinger, hányás, a betegek 10%-ánál pedig hipokalcémia, hátfájás és diszpepszia is jelentkezik. Ezen kívül előfordulhat teltségérzés, reflux, nyelőcső-irritáció (ritkán vérzéses formában), de lehetnek influenzaszerű tünetek is. A szájon át történő kezelési formában ezeknek a hatásoknak az elkerülése érdekében fontos a megfelelő étkezés és sok folyadékfogyasztás (Gyires 2011).
Intravénás aminobiszfoszfonát terápiában a betegek 1550%-a tapasztal akut fázis reakciót, mely általában csak az első adagolás után jelentkezik. Átmeneti lázzal, izom- és ízületi fájdalommal jár. Intravénás ágenseknél nagy mennyiségű (standard feletti) vagy gyors bevitel esetén leírtak veseproblémákat. Normál dozírozás esetén szokatlanok, de általában kiszámíthatóak és visszafordíthatóak az ilyen jellegű problémák (Coleman 2008). Komoly biszfoszfonát okozta veseproblémák kevesebb, mint 0,5%-ban fordultak elő. Idioszinkráziás vese abnormalitások azonban kétségtelenül előfordulnak. Pamidronátnál nefrózis szindrómához kapcsolt fokális glomeruloszklerózist, zoledronátnál tubuláris károsodást ismertek fel (Guarneri 2005). Kezelés előtt mindenképp szérumkreatinin és -kalcium szint meghatározás javasolt. A 35 ml/perc alatti kreatinin-clearance esetén kontraindikált az intravénás kezelés. A vesefunkciók monitorozása elengedhetetlen ilyen esetben (Gyires 2011).
A biszfoszfonátok alkalmazása során fellépő legsúlyosabb mellékhatás a Bisphosphonate Osteonecrosis of the Jaw (BRONJ), vagyis biszfoszfonát okozta állcsontnekrózis. Első-
ként a 19. században tapasztaltak csontelhalást a gyufagyártásban foszfortartalmú környezetben dolgozó munkásoknál. Az elváltozást „phossy jaw” névvel illették (McLeod 2012). A biszfoszfonátokat először 2003-ban hozták összefüggésbe a daganatterápia mellékhatásaként létrejövő állcsontnekrózissal és ismertettek eseteket (Marx 2003, Wang 2003, Ruggiero 2004). Önálló kórképként 2005-ben írták le (Hellstein 2005). 2004-ben a Novartis cég, az intravénás pamidronát gyártója felhívta a figyelmét az egészségügyben dolgozóknak a gyógyszer leírásában történő változásra, vagyis az esetlegesen kialakuló oszteonekrózisára az állcsontoknak (Hohnecker 2004). Ezt 2005-ben egy széles körű felhívás követte, mely minden biszfoszfonát tartamú gyógyszer esetében figyelmeztetett a lehetséges oszteonekrózis előfordulására, és előtérbe helyezte a kezelés előtti szájüregi előkészítés fontosságát. (U.S. Food and Drug Administration 2004, 2005). A betegség definícióját elsőként 2007ben fogalmazták meg az American Association of Oral and Maxillofacial Surgeons (AAOMS) által közölt ajánlásban. A 2009-es újabb kiadásban is megmaradtak az eredeti leírásnál. BRONJ diagnózisa akkor bizonyítható, ha a szájüregben szabad felszínű, denudálódott csont található, ami nem gyógyul az orvosi felismeréstől számított 8 héten belül, olyan betegek esetén, akik nem részesültek fej-, nyakrégiót érintő terápiás dózisú sugárterápiában és biszfoszfonát kezelést kapnak. Egyéb tünetek mint fájdalom, duzzanat, paresztézia, gennyes váladékozás, kifekélyesedés, extra- és intraorális sipolyképződés, fogelvesztés, radiológiai elváltozások is jelen lehetnek feltételezett vagy bizonyított BRONJ esetén. A differenciáldiagnosztika során fontos elkülöníteni a következő kórképektől: parodontális elváltozások, osteomyelitis, temporomandibularis ízületi betegségek, arcüreggyulladás, alveolitis, periapikális gyulladások, csont- és metasztatikus daganatok (Ruggiero 2009).
Az AAOMS 2014-es kiadványa már egy új kifejezés, a MRONJ fogalmát favorizálja, mely jelentése „medication-related osteonecrosis of the jaw”, vagyis gyógyszerindukált oszteonekrózis. A fogalmi változás annak köszönhető, hogy egyre több esetben fordult elő oszteonekrózis a maxillában és mandibulában biszfoszfonát terápián kívüli egyéb antireszorptív (denosumab) és antiangiogenetikus gyógyszerhasználatot követően. A definíció szerint napjainkban MRONJ áll fenn azoknál a pácienseknél, akiknél a következő tényezők együttesen fennállnak: jelenleg folyó vagy korábbi antireszorptív vagy antiangiogenetikus terápia, dunudálodott csontfelszín látható a szájüregben vagy a csont szondázható extra vagy- intraoralis sipolynyíláson keresztül 8 vagy annál több hete, és nem szerepel az anamnézisben korábbi radioterápia vagy metasztatikus állcsontlézió. Fontos megemlíteni, hogy ONJ olyan pácienseknél is felléphet, akik sosem részesültek antireszorptív vagy antiangiogenetikus terápiában.
Bár az első gyógyszer okozta oszteonekrózis esetét több mint egy évtizede leírták, kialakulásának patofiziológiája a mai napig nem tisztázott (Marx 2003, Ruggiero 2004). Feltételezések szerint az állcsontokban való lokalizáció az ottani eltérő csont remodellinghez vagy csontreszorpció túlzott gátlásához köthető, de szerepe lehet benne az angiogenezis gátlásának, az állandó állcsontot érő mikrotraumáknak, a csökkent veleszületett vagy szerzett immunológiai védett-
ségnek, D3-vitamin hiánynak, lágy szöveti BF toxicitásnak, gyulladásoknak vagy infekcióknak is.
A kialakulás rizikótényezőit két csoportra oszthatjuk: gyógyszerezéssel kapcsolatos faktorok és helyi tényezők. A gyógyszerezés két paramétertől függ. Első a terápiás indikáció, mely lehet oszteoporózis/oszteopénia vagy malignus folyamat. Második az alkalmazott hatóanyag típusa: biszfoszfonát vagy nem biszfoszfonát (egyéb antireszorptív vagy antiangiogenetikus anyagok). A betegség viszonylag ritka előfordulása miatt a kis esetszámú vizsgálatok tanulmányozásánál kritikával kell élnünk, a nagyobb esetszámú tanulmányok eredményei súlyozottabban számítanak.
Rosszindulatú daganatos betegek vizsgálatakor ahhoz, hogy a MRONJ kialakulásának esélyét meghatározzuk, szükség van olyan betegek vizsgálatára, akiknél ONJ alakult ki előzetes antireszorptív kezelés ellenére. ONJ kockázata rosszindulatú daganatos betegeknél a placebót kapó csoportban 0-0,019% volt (0-0,19 eset/10 000 beteg). Zoledronáttal kezelt pácienseknél az összesített eredmény 0,7-6,7% volt. 50-100-szor nagyobb eséllyel alakult ki oszteonekrózis rosszindulatú daganatos betegben biszfoszfonát kezelésnél, mint kezelés nélkül.
Az orális biszfoszfonáttal kezelt, oszteoporózisban szenvedő betegek száma nagyon magas. 2008-ban ez a szám az 55 év fölöttiek körében elérte az 5,1 millió főt (U.S. Food and Drug Administration 2011). A Kaiser Permanente egészségügyi biztosító 13 000 tagja körében végzett felmérés alapján az ONJ megjelenése 0,1% (10 eset/10 000 fő) volt, mely 4 éves időtartamot meghaladó terápia esetén 0,21%-ra emelkedett (Lo 2010). Egy németországi vizsgálatban a MRONJ előfordulása 0,00038% volt, kevesebb, mint 1 eset/10 0000 exponált fő (Felsenberg 2006). Egy újabb jelentésben, mely Malden és munkatársai nevéhez fűzhető a MRONJ incidenciája 0,004% volt, tehát 11 jelentett oszteonekrózisos beteg volt a 90 000 fős dél-skóciai populációban (Malden 2012). Az évi egyszeri intravénás, 3 évig tartó zoledronát terápiában részesülő betegek vizsgálatakor a kapott MRONJ incidencia értéke 0,017% volt (Grbic 2010). Ez az érték felülmúlja a placebó csoportok MRONJ incidenciáját (0-0,02%). 6 évre kiterjesztett vizsgálat alapján a betegség előfordulásának gyakorisága nem változott (Black 2012). A jelenlegi adatok alapján valós esély van csontrikulásban szenvedő betegeknél ONJ kialakulására, azonban ez a kockázat orális és intravénás kezelés esetén is alacsony. Az előfordulás gyakorisága főképp a kezelt betegek magas számának köszönhető. A kezelések hossza szintén befolyással van a kialakulásra a terápia indikációjától függetlenül. Rákos betegeknél a zoledronát használatkor az első éves 0,5-0,6%-os MRONJ rizikó értéke a 3. évre 1,1-1,3%-ra emelkedett (Henry 2011). Csontritkulás terápiájában a per os kezelés esetén ONJ rizikó szinte nulláról 0,21%-ra emelkedett 4 vagy többéves használat esetén. A kezelés középideje 3,5-4,4 év volt (U.S. Food and Drug Administration 2011, Lo 2010). Összehasonlítva az antireszorptív terápiában részesülő rákos és oszteoporózisban szenvedő pácienseket, az utóbbi csoportban 100-szor kisebb az esély ONJ kialakulására, bár a kezelés idejének elhúzódása növeli a betegség kialakulásának esélyét.
A betegség kialakulásában lokális rizikófaktoroknak tekintjük a fennálló szájüregi gyulladásokat, legyen az akár parodontális, akár periapikális és a sebészi beavatkozásokat. A den-
toalveoláris műtétek jelentik a legnagyobb kockázatot, de a fogextrakció is gyakori prediszponáló tényező. Jelenleg orális biszfoszfonát (BF) terápia esetén 0,5%, intravénás terápia esetén 1,6-14,8% az ONJ kialakulásának esélye fogeltávolítás után. ONJ kialakulásának pontos esélye implantációs, endodonciai és parodontális beavatkozások esetén egyelőre ismeretlen. Befolyásoló tényező az anatómia is: mandibulában a legnagyobb az esély (73%) ONJ kialakulásra a kompaktabb csontszerkezet és gyengébb vaszkularizáció miatt, de ONJ megjelenhet a maxillában is (22,5%) vagy mindkét állcsontban (4,5%). A felsoroltakon kívül meghatározó szerepe van a nemnek, nőknél gyakoribb a betegség, mely főként az indikációnak köszönhető: oszteoporózis, emlődaganat. Ezeken kívül fogpótlás viselése, kortikoszteriod terápia, dohányzás és genetikai faktorok is kockázati tényezőként szerepelnek (Ruggiero 2014).
Magyarországon a betegséget az AAOMS legfrissebb 2014es kritériumrendszere alapján 4 stádiumba soroljuk. Nulladik stádiumban a betegek bizonytalan tünetekkel jelentkeznek, például tompa csontfájdalom a mandibula testének területén, dentális eltéréssel nem magyarázható fogfájás, foglazulás, melynek parodontális oka nem ismert. Megváltoznak a szenzoros funkciók. A szájüregben nincs szabad, nekrotikus csontfelszín, azonban a röntgenképen alveoláris csontveszteség látható krónikus parodontitis nélkül. Megváltozik a trabekuláris csontszerkezet, megvastagodott periodontális ligamentummal és oszteszklerotikus területekkel találkozhatunk. Fogorvosként körültekintőnek kell lennünk, fokozattan kell figyelni az anamnesztikus biszfoszfonát terápiára, hiszen egy ilyen stádiumban elvégzett extrakció a betegség kialakulását, súlyosbodását jelentheti. Nulladik stádiumnak megfelelő tünetekkel jelentkezhetnek olyan páciensek is, akik első, második vagy harmadik stádiumból gyógyultak meg.
Egyes stádiumról panaszmentes, fertőzésre nem utaló jelekkel nem rendelkező betegek esetén beszélünk, akik szájüregében ennek ellenére nekrotikus csontfelszínnel találkozunk.
A röntgenképen a nulladik stádiumnak megfelelő elváltozások láthatóak az alveoláris csont régiójában.
Második stádiumban a panaszos, denudálódott csontfelszín mellett fertőzéses tünetek és fájdalom is jelentkezik. A radiológia tünetek a már leírtaknak felelnek meg.
A harmadik stádium az előző tünetek – nekrotikus csont és fertőzés jelei – mellett egy harmadik kiegészítő tünettel jár az alábbiak közül: processus alveolaris területén túlterjedő nekrotikus csontfelszín, patológiás törés, extraorális fisztula, orrüreg vagy arcüreg megnyílása a szájüreg felé, a mandibula bázisát vagy a sinus alapját is érintő oszteolízis (Ruggiero 2014).
2.3.2. BRONJ kezelése
A betegség kezelésére nem létezik egységes megoldás. Ajánlások, protokollok alapján történik az ellátás. Potenciális BRONJ rizikó fennállása esetén legfontosabb az egészséges szájüregi állapot elérése, fenntartása. Rendszeres fogmosással, a dohányzás, alkohol és droghasználat felhagyásával, valamint rendszeres fogorvosi vizsgálattal ez az állapot elérhető, így csökken az invazív beavatkozások szükségessége.
A prevenció főbb pontjai a következők:
• rizikópáciensek azonosítása anamnézis alapján (anamnézisben szereplő biszfoszfonát terápia, BRONJ, oszteoporózis, csonttörések, magas dózisú kortikoszteriod terápia, szolid tumor, myeloma multiplex előfordulása esetén fokozott figyelem, kikérdezés szükséges),
• a biszfoszfonát okozta állcsontnekrózissal összefüggésbe hozható gyógyszerek ismerete,
• kezelési terv, mely célja az infekciók megelőzése és a szükséges beavatkozások invazivitásának csökkentése. A szanálás ideális esetben történhet a biszfoszfonát terápia megkezdése előtt, vagy a kezelés megkezdése után minél hamarabb, az úgynevezett ablak periódusban. Ebben az időszakban relatíve legkisebb a BRONJ bekövetkezésének esélye, de természetesen nem teljesen kizárható.
* Ablak periódus: hónapokban megadva a kezelés megkezdésétől számítva
• Egyéb beavatkozások lehetnek BRONJ esetén: lokális vagy szisztémás antibiotikum terápia, lézer terápia, hiperbárikus oxigén terápia, ózon terápia (hatásuk nem bizonyított) (NSW Health Guideline 2010, Ruggiero 2014).
BRONJ „kezelése” már a rizikópácienseknél megkezdődik. Korábbi antireszorptív és antiangiogenetikus terápiában részesülő betegek, vagy előzőleg kezelt BRONJ esetén a tájékoztatás a legfontosabb. A pácienseknek megfelelő információval kell rendelkezniük a betegség megelőzésével, tüneteivel, lefolyásával kapcsolatban. A fogorvosi szanáció jelentőségét retrospektív tanulmányok bizonyítják (Dimopoulos 2009, Ripamonti 2009, Bonacina 2011, Vandone 2012). Antireszorptív terápia megkezdése előtt fontos a röntgen és a szájüreg alapos vizsgálata, a következők figyelembevételével: akut és potenciális fertőzések, mobilis fogak, gyökérmaradványok, patológiás periapikális elváltozások, fogpótlás okozta dekubitusz. Antireszorptív terápia alatt az ONJ prevenciójának egyik alappillére lehet az úgynevezett „drug holiday”. Az ajánlások elég ellentmondásosak ezzel kapcsolatban a kevés adat miatt. Csontritkulásban szenvedő pácienseknél a 2009-es AAOMS közlemény 3 hónapos felfüggesztést javasolt invazív szájüregi beavatkozások előtt és után egyaránt. Arról azonban nincs adat, hogy így csökkenne a fogeltávolítás után az ONJ kialakulásának esélye. ADA Council in Scientific Affairs 2011-ben ezt átfogalmazta és olyan ajánlást tett, hogy a drug holiday betartása kisebb összdózis, vagyis kevesebb mint 2 éves antireszorptív terápia esetén nem szükséges. Az ONJ Task Force javasolta a gyógyszer szüneteltetését magas rizikójú pácienseknél, akik több mint 4 éve szednek biszfoszfonátot vagy a terápia ideje kevesebb, de egyéb komorbiditási faktorok vannak jelen, úgymint: rheumatoid arthritis, korábbi vagy jelenlegi glükokortikoid terápia, cukorbetegség és dohányzás. A kezelés folytatása a seb gyógyulása után folytatódhat (Khan 2013). A több mint 4 éves terápiában részesülő páciensek elméletileg profitálhatnak a gyógyszerezés szüneteltetéséből, de számukra a Damm és Jones által leírt módosított stratégiát érdemes követni (Damm 2013).
Az AAOMS ajánlást tett közzé a kezelésre vonatkozóan az egyes stádiumok szerint. Nulladik stádiumban lévő betegeknél tüneti kezelést kell alkalmazni és konzervatív terápiával kell ellátni a helyi befolyásoló tényezőket, úgymint káriesz vagy parodontitis. Krónikus fájdalom és infekciókontrollra
70 FPS
Nincs több vezeték
Vezetékektől mentes, a szkennelés bármilyen szögben kényelmes. Az approximális területek könnyedén, korlátok nélkül szkennelhetők.
Hosszú üzemidő, mégis könnyű Kiemelkedő akkumulátoros üzemidő, a hosszantartó szkennelésekhez az Ön kényelme érdekében.
Gyors és pontos
Akár 70 FPS szkennelési sebesség. Megtapasztalhatja a Medit legkelendőbb modelljének elképesztően egyenletes és gyors szkennelési teljesítményét. Élvezze az i700w gyors sebességét vezeték nélkül, hibátlanul.
Erőteljes hardver találkozik a sokoldalú szoftverrel
Kényelemre optimalizálva. Nemcsak hardveres szempontból, hanem szoftveresen is. Az i700w vezeték nélküli szkenner a MEDIT legújabb technológiáit tartalmazza.
Cégünk személyreszabott kurzusokat, ingyenes ügyfélszolgálatot, távszervizt és cseredarabot kínál felhasználóink számára
adhatunk fájdalomcsillapítót és antibiotikumot. Azonban itt is az egyik legfontosabb dolog a szigorú monitorozás a potenciális progresszió miatt. Egyes stádiumban hatékony lehet szájöblítők alkalmazása, például 0,12%-os klórhexidines oldat, antibiotikummal kombinációban. Azonnali szájsebészeti beavatkozásra nincs szükség.
A második stádiumban szintén alkalmazunk antimikróbás szájöblítőket antibiotikumos terápiával kombinálva. Az exponálódott csontfelszínt baktériumok kolonizálják. Ezek a kolonizációk nagyrészt érzékenyek penicillinre. Penicillin allergia esetén alkalmazhatunk quinolonokat, metronidazolt, clindamycint, doxycyclint vagy erythromycint is. Mégis a legjobb megoldás antibiogram készítése és célzott terápia.
A csontfelszínen képzett biofilm integritása sok esetben olyan mértékű, hogy az antibiotikumos terápia nem hatásos. Ilyenkor érdemes sebészileg beavatkozni és eltávolítani a kolonizált, nekrotikus csontot.
Tisztán sebészi terápia csak a harmadik stádiumban szerepel, kombinációban antibiotikummal. Harmadik stádiumú páciensek számára rezekció és azonnali rekonstrukció lehet a megoldás. A rekonstrukció történhet obturátorral, de kis esetszámú közlemények sikeres azonnali helyreállításról számoltak be vaszkularizált csont segítségével (Engroff 2007, Ferrari 2008, Seth 2010).
A betegség stádiumától függetlenül a mozgó csontszekveszterek eltávolítása javasolt. A nekrotizált csontterületen lévő panaszos fogak eltávolítása is megfontolandó, nem valószínű, hogy a fog extrakciója súlyosbítaná a kialakult nekrotikus folyamatot.
Az antireszorptív ellátásban részesülők kezelése multidiszciplináris feladat. A fogászati ellátás kiemelt szerepe a prevenció. Még a terápia megkezdése előtt szükséges a megfelelő fogszakorvossal történő konzultáció. Fontos a korai szájüregi kezelés, a prevenció és követés. A kezelési terv tartalmazzon alapos szájüregi vizsgálatot, szükség esetén radiológiai vizsgálatot. A biszfoszfonát terápiában részesülő páciensek esetén kötelező a fogászati vizsgálat és szanáció még a kezelés megkezdése előtt, de nem később, mint a kezelés első 3 hónapja. Ez a szanáció preventív beavatkozásokat takar, úgymint radixok minimál invazív eltávolítása, fogkőleszedés, gócmentesítés és egyéb konzerváló fogászati beavatkozások. A konzervatív ellátást nem befolyásolja a BF terápia. Tömések készítése, gyökérkezelés végezhető, sőt egyes esetekben különösen javasolt. Inkább törekedni kell egy-egy fog endodonciai kezelésére a foghúzás elkerülésének érdekében. A szupragingivális depurálás szintén konzervatív kezelés, ám a szubgingivális küret már sebészi beavatkozásnak minősül. Fontos az akut és potenciális fertőzések kezelése, nehogy a terápia elkezdésével lángoljanak fel bizonyos folyamatok. Nagy hangsúlyt kell fektetni a következő feladatokra: páciens motiválása, instruálása a megfelelő szájhigiénére, fluorid
applikáció, klórhexidines öblögetés, mobilis fogak, parodontális elváltozások, szájüregben maradt radixok, periapikális elváltozások ellátása. A páciens megfelelő fokú tájékoztatása a biszfoszfonát terápia alatt történő beavatkozások által okozott lehetséges szövődményekről elsőrendű. Emellett szükséges a betegek rendszeres rövid és hosszú távú ellenőrzése. (Ruggiero 2014).
3.2. Protetikai vonatkozások Biszfoszfonát terápiában részesülő részlegesen vagy teljesen fogatlan páciensek esetén gondoskodnunk kell megfelelő protetikai ellátásról. Az oszteonekózis kiváltó tényezői elsősorban az anamnézisben szereplő fogeltávolítások, mégsem hanyagolhatók el a banálisnak tűnő nyálkahártya-sérülések sem. Fogpótlások készítésénél fontos, hogy a nyálkahártyafelszínek nyomása elkerülhető legyen (Wyngaert 2007). Az orális mukózán előforduló léziók rugalmatlan alaplemezű fogpótlások által okozott mechanikai sérülések következtében jönnek létre. A dekubituszok területén roncsolódik a nyálkahártya barrier, a következményes bakterális invázió miatt könnyen megindulhat a csont elhalása, így ezeknek a sebeknek a számát minimálisra kell csökkenteni fogpótlás készítésekor.
Teljes lemezes fogpótlások készítésekor törekednünk kell a kiegyensúlyozott artikuláció létrehozására, úgynevezett bilaterális balanszra. Ezzel növelhetjük a stabilitást. A fogpótlás átadása után fontos a szokásosnál gyakoribb kontroll, ez 2-3 napos visszarendelést jelent az egyhetes időszakok helyett. A visszarendelések alkalmával igyekezzünk alapos alaplemez korrekciót végezni. Amikor a páciens már panaszmentesen viseli a pótlást, akkor kívánatos az alaplemez lenyomati felszínét tükörsimára políroztatni (Párkányi, Kivovics 2012).
Teljes lemezes fogpótlásokat készíthetünk fém alaplemezzel is. Anyaguk szerint lehetnek arany-, ezüst-palládium-, kobalt-króm ötvözetből vagy titánból készültek.
Részleges lemezes fogpótlások esetén törekedni kell a finommechanikai eszközök használatára, a kapcsos elhorgonyzást lehetőleg hanyagolni kell. A precíziós elhorgonyzási eszközök merev elhorgonyzást tesznek lehetővé, ezzel növelik a stabilitást. Az alaplemez kiterjedését csökkenteni kell, de csak a megfelelő megtámasztás biztosításának határain belül (Párkányi, Kivovics 2012).
3.2.1. Puhán maradó akrilát alaplemez Reziliens akriláttal történő alábélelés történhet direkt (charside) vagy indirekt (labside) módon. Azonban egyik megoldás sem tekinthető végleges megoldásnak. A puha alábélelés tompítja a nyomást, ezáltal a lágy szövetek gyógyulhatnak, a csont remodelling komplikációk nélkül végbe mehet. Ám az alábélelés puhaságát néhány hét alatt elveszti, felszíne érdessé válik. Nagy hátrány a keményakrilát alaplemezzel szemben, hogy ebbe a porózus szerkezetű anyagba könnyen beivódnak a baktériumok és gombák (Okita 1991). A fogpótlásnak későbbiekben rossz szaga lehet, kialakulhat protézis okozta sztomatitisz protetika, melynek megelőzésére 3 hónapos időintervallumban alkalmazott 5,25%-os nátrium-hipoklorittal történő tisztítás javasolt. Másik hátulütője a puhán maradó akrilátnak, hogy hosszú távon csökken a nyíró- és szakítószilárdság a kemény alaplemez és a puha alábélelő anyag között, ami a fogmű hosszú távú használatát limitálja.
db
1 db G-ænial A’CHORD + 3 db G-ænial A’CHORD + 1 db G2 BOND Bottle Kit + 1 db G-Premio BOND utántöltő + 1 db Composite Modeling Kit + 1 db American Eagle M5 Sculpt műszer
Az idővel durvává váló felszín ismét hajlamosít dekubitusz kialakulására. Az alábélelt alaplemez korrekciója igen nehéz. A javítás gyakorlatilag az egész alábélelés eltávolítását és új alábélelő réteg készítését jelenti. Direkt alábéleléshez alkalmazott anyag a nagy nedvességtartalmú úgynevezett hydrogél (tissue conditioner). Ilyenek például a Visco-Gel (DENTSPLY) és Ufi-Gel (VOCO). Indikáltak gyulladt, sebes nyálkahártya esetén, például irradiáció utáni állapotban, és olyan esetekben, amikor a fogpótlás alaplemeze befedi a korábban műtött területet, például radix relicta eltávolítása vagy implantátum behelyezése után (Párkányi, Kivovics 2012).
3.2.2. Implantációs-protetikai lehetőségek Napjainkban mind a biszfoszfonát terápia, mind az orális implantátumok beültetése gyakori eljárás felnőtt korban. Implantátum behelyezése biztonságos megoldás lehet BRONJ kockázat esetén is azoknál a pácienseknél, akik kevesebb mint 5 éve szednek biszfoszfonát tartamú tablettát. Ugyanis a kivehető fogpótlások mobilitása kritikus tényező az oszteonekrózis szempontjából. A megfelelő stabilitás kialakítása nagyon nehéz, valamint pontosan illeszkedő fogpótlások esetén sem zárható ki nyálkahártya elváltozás (Madrid 2009).
Ezáltal egyre nagyobb figyelem fordul abba az irányba, hogy szabad-e implantációt végezni biszfoszfonát kezelésben részesülő betegeken, valamint hogyan hatnak a biszfoszfonátok a már beültetett, csontosan integrálódott implantátumokra. Madrid és Sanz 2009-ben vizsgálták a témában 1966 és 2008 között megjelent irodalmat.
Az analízis kellő bizonyosságának hiányában nem mondható meg, hogy biztonságos-e vagy sem az implantáció orális biszfoszfonát terápiában. De általános a megegyezés abban, hogy a fogászati implantáció semmiképpen nem kontraindikált oszteoporózisban, szájon át történő biszfoszfonát alkalmazás esetén. Azonban ilyenkor is kell, hogy a fogorvos körültekintően járjon el, számba véve egyéb alternatív fogpótlástani megoldásokat. Szakértők véleménye alapján az AAOMS két csoportba osztja a per os terápiában részesülő betegeket. A 3 évnél kevesebb ideje biszfoszfonátot szedő páciensek közvetlenül alkalmasak implantátum beültetésre. Azoknak, akik 3 évnél hosszabb, vagy 3 évnél kevesebb, de kortikoszteriodokkal kombinált terápiában részesültek, javasolt az úgynevezett „drug holiday”, vagyis a terápia felfüggesztése 3 hónappal a beavatkozás előtt és 3 hónappal utána, mindig, amikor a páciens szisztémás állapota engedi. Más szájsebészeti beavatkozáshoz hasonlóan ebben az esetben sem mutatható ki, hogy a terápia megszakítása előnyösen érintené az implantátumok gyógyulását vagy csökkentené BRONJ kialakulását. Az esetleges megszakítás idejéről sincsenek tények. Ettől függetlenül a biszfoszfonátok hosszú távú retenciója a csontban nem valószínű, hogy bármiféle káros hatása lenne a csontvázra (Khosla 2007). A különböző kezelési javaslatok közül a Canadian Consensus Practice megfontolandónak tartja a terápia felfüggesztését nem sürgős invazív dentális
beavatkozások előtt 3-6 hónapi és a teljes gyógyulás eléréséig (Madrid 2009).
A szisztémás aminobiszfoszfonát és BRONJ között lévő szoros kapcsolat miatt a legtöbb ajánlás szigorúan limitálja az elektív szájsebészeti műtéteket, így az implantációt is rosszindulatú daganatos betegeknél (Scully 2006, Weitzman 2007, Gómez 2008). Közmegegyezés tárgya, hogy az implantátumok kontraindikáltak intravénás biszfoszfonát terápiában részesülő rosszindulatú daganatos betegek számára. Az integrálódott implantátumok és a biszfoszfonát terápia kapcsolatát illetően nem áll rendelkezésre megfelelő mennyiségű információ. Rövid távú megfigyelések a rövid idejű per os alkalmazott biszfoszfonátok esetében magas élettartamot mutattak. Hosszú távú megfigyelésekről nincsenek adatok (Madrid 2009).
AAOMS: American Association of Oral and Maxillofacial Surgeons, Amerikai Arc-Állcsont- és Szájsebészeti Társaság
ADA: American Dental Association
ALP: alkaline phosphonate
ATP: adenozin-trifoszfát
BF: biszfoszfonát
BSALP: bone specific alkaline phosphonate
BTM: Bone Turnover Marker, csontanyagcsere markerek
BRONJ: bisphosphonate related osteonecrosis of the jaw, biszfoszfonát kiváltotta állcsontelhalás
CTX: C-terminal telopeptide of type 1 collagen
FDA: Food and Drug Administration, Amerikai Élelmiszer és
Gyógyszer Ellenőrző Hatóság
GTPáz: guanozin-trifoszfatáz
MOTESZ: Magyar Orvostársaságok és Egyesületek Szövetsége
MR: mágneses rezonancián alapuló képalkotó vizsgálat
MRONJ: medication related osteonecrosis of the jaw, gyógyszeres kezelés indukált állcsontelhalás
NTX: N-telopeptide of type I collagen
OC: osteocalcin
ONJ: osteonecrosis of the jaw, állcsontelhalás
PTH: parathormon
RANKL: Receptor activator of nuclear factor kappa-Β ligand (Irodalomjegyzék a második rész végén.)
Szeretne folyamatos, kiszámítható és tervezhető, passzív bevételre szert tenni?
Mit nyújtunk?
Közel 20 éves szakmai tapasztalatot a fogászat, mind a fül-orr-gégészet területén.
Legmodernebb, digitális rendszerű csúcstechnológiás gépekkel a legmagasabb minőségű tűéles felvételeket.
Páciensközpontú szemléletünknek köszönhetően gyors és precíz ügyintézést, az ország 4 frekventált helyén lévő centrumainkban. (4,8 google értékelés több, mint 1000 páciens visszajelzése alapján)
Negyedéves legális pénz visszafizetést a páciens forgalom után, vagy bónuszpontokat, amit beválthat bármilyen fogászati eszközre amire csak szüksége van!
Folyamatos CBCT képzéseket!
Orvoslátogatóink bármikor felkeresik Önt, amennyiben gondjuk lenne.
Mit jelent ez nekünk?
Örömünkre szolgál, hogy folyamatosan Önnel együtt fejlődhetünk és kamatoztathatjuk szakmai tudásunkat.
Amennyiben felkeltettük érdeklődésüket, és szeretnének partnerünkké válni, vagy már partnerünk, de nincs még szerződése, kérem keressen engem bizalommal az alábbi elérhetőségemen: iroda@vipdental.hu
Tisztelettel
A digitális eszköztár által csökkenthetjük az orvos-páciens
elhanyagolható. A digitális módszerekkel sokkal könnyebb
létfontosságú a hosszú távú
orvos-páciens találkozók számát, ami különösen napjainkban nem
csavarozható pótlást tervezni, amelyek eltávolíthatósága
sikeresség szempontjából.
A teljesen fogatlan páciensek implantátumok segítségével történő rehabilitációja egyike a legnagyobb kihívást jelentő fogászati beavatkozásoknak. Sok esetben nehéz előre látni, milyen esztétikai eredményt tudunk elérni úgy, hogy a fogpótlás funkcionálisan is megfeleljen, valamint a legjobb erőeloszlást biztosítsa. A digitális eszközök mindennapi fogorvosi praxisba történő integrációja révén, a „backward planning” vagy protetika vezérelte sebészeti tervezésnek köszönhetően, már a kiinduláskor pontosan láthatjuk, milyen végeredményre számíthatunk a fogpótlás elkészülésekor.
60 éves férfi páciens kereste fel rendelőnket, anamnézisében 2-es típusú cukorbetegség (kontrollált) és dohányzás szerepelt (5 szál/nap, átszokóban elektromos cigarettára), (1-2. ábra)
CBCT felvételt készítettünk, hogy megtervezhessük az implantátumok ideális pozícióját, illetve a hosszú távú ideiglenes hídpótlást. A műtéti tervezés alapjául a duál-szken technika szolgált:
A duál-szken technikának megfelelően a CBCT a következőképp készült: Készült egy CT-felvétel a páciensről, emellett külön CT a két fogsorról, amelyek így digitális wax-upként szolgáltak a tervezéshez (3. ábra)
Mindkét állcsonton azonos napon végeztük el a műtéti beavatkozást.
Először a mandibulába történt meg az implantátumok beültetése. Az alsó állcsontban az érzéstelenítést követően a sablont 3 db pinnel rögzítettük, majd lebenyképzés nélkül, pusztán a sablonon keresztül ejtettünk apró metszéseket egy 15C-s szikepengével (4. és 5. ábrák)
AZONNALI
PROTOKOLOKRA KIFEJLESZTVE
Kúpos forma az optimális primer stabilitásért
FENNTARTÁSA
Kevesebb megtapadó baktérium és egyszerűbb
tisztíthatóság
Egyfázisú folyamat, amely szöveti szintű restaurátumot és jobb szék melletti időkihasználást tesz lehetővé
A Straumann TLX implantátum rendszer kialakításánál számításba vették a keményés lágyszövet gyógyulás kulcsfontosságú elemeit.
Az implantátum-felépítmény kapcsolat távolabb került a csonttól, ezzel jelentősen csökkentve a gyulladás, valamint a csontreszorpció esélyét.
Keresse helyi Straumann képviselőjét vagy látogasson el a www.starumann.com/tlx oldalra!
A Straumann BLX fúrási protokollnak megfelelően végigfúrtuk az implantátumok ágyát a megfelelő Velo Drill fúrók segítségével. Az implantátumokat a tervezett pozíciókba a sablonon keresztül helyeztük be, minden implantátumnál optimális 35-45 Ncm közötti behelyezési nyomatékot tudtunk elérni. A sablon eltávolítása után csatlakoztattuk a terv szerinti egyenes SRA fejeket, kiválasztva a legoptimálisabb ínymagasságúakat (BLX rendszernél az összes SRA fej ugyanolyan szélességű), majd 35 Ncm-es nyomatékra húztuk azokat.
A maxillában a 15-ös pozícióba behelyezni kívánt implantátumnál csupán 25 Ncm-es behajtási nyomatékot tudtunk elérni.
A többi implantátumnál - alulpreparálás segítségével - mindenhol 35-40 Ncm-es nyomatékot mértünk. Szintén a helyükre kerültek az SRA felépítmények, a digitális tervezés alapján 11-es és 22-es pozíciókban 17,5°-osok mellett döntöttünk, míg a többi implantátumnál az egyenesekre esett
a választás. A multiunitokat a maxillában is megfelelő nyomatékra húztuk, továbbá védősapkákkal láttuk el ezeket (6. ábra). Varratot egyáltalán nem helyeztünk be.
A fogtechikai laboratórium javaslatára, az implantátumokon rögzülő ideiglenes hídpótlást Straumann SRA színtről szkennelve, ideiglenes felépítmények felhasználásával készítettük el. Az intraorális scan az implantátumok behelyezését követően elkészült mind a maxilláról, mind a mandibuláról (7. ábra).
Az alsó és felső állcsontról készült digitális adatok egymáshoz rendelésében, a centrális okklúziós viszonyok meghatározásában a foghúzásokkal egy időben készült, ideiglenes fogsorok által rögzített harapást tekintettük kiindulópontnak.
Mivel a műtétet megelőzően mind a fogsorok gingivális felszínéről szájon kívül, mind a fogsorokról a páciens szájában készült szken az intraorális scanner segítségével (az ideiglenes fogsorokkal meghatározott harapási pozíciót is rögzítve), továbbá a preoperatív digitális adatok és a műtétet követő scan-bodykkal vett digitális lenyomatok a megfelelő referenciapontok segítségével „összehozhatóak”.
A páciens másnap reggel vidáman, duzzanat- és fájdalommentesen érkezett vissza a rendelőnkbe.
Az elkészült ideiglenes hídpótlások bepróbáláskor mind a maxillán, mind a mandibulán feszülésmentesen rögzültek.
Az 15-ös pozíciójú implantátum terheléséről a biztonság érdekében lemondtunk, a jobb felső kvadránsban - esztétikai okokból - a 13-as pozícióban lévő implantátum mögött 2 darab szabadvégű hídtagot hagytunk úgy, hogy azok se okklúzióban, se artikulációban ne vehessenek részt, illetve a köztielem gyógyulósapkájához se érjenek hozzá (8. ábra).
A páciens fogpótlásának állapotát a műtétet követően az 1., a 2., illetve 4 héten is kontrolláltuk. A kontrollok alkalmával semmiféle problémát nem tapasztaltunk, a páciens mind esztétikában, mind funkcióban elégedett volt az elkészült ideiglenes pótlásokkal.
10 héttel a műtét után kontroll panoráma felvételt készítettünk, amelyen mindent rendben találtunk. A szájvizsgálat során elváltozást nem tapasztaltunk, az implantátumok környezete gyulladásmentes volt, mindenhol megfelelő menynyiségű feszes íny vette körül azokat. Az SLActive felszín nyújtotta gyorsabb gyógyulásnak hála, a végleges pótlás elkészítésének megkezdése mellett dönthettünk.
Az ideiglenes pótlások eltávolítása után először a periimplantáris lágyszövetek állapotát ellenőriztük, ami kifogástalannak bizonyult. Az ideiglenes pótlás tökéletesen megformázta a keratinizált ínyt a felépítmények körül. Az összes implantátum, köztük az 15-ös pozíciójú is, megfelelően oszszeointegrálódott (9–10. ábrák)
A digitális munkamenet során először szkent készítettünk a kiindulási állapotról, tehát az alsó és felső implantátumos hídról, valamint az ideiglenes hidakkal rögzített okklúziós viszonyokról, illetve azokat eltávolítva is szkent készítettünk a pótlások gingivális felszínéről (11–12. ábrák).
A szkennelést követően néhány órával elkészült az alsó és felső állcsontra a PMMA-ból kifaragott csavarozható “próbahíd”, amivel a szkennelés pontosságát (feszülésmentes illeszkedés a közti elemeken), az okklúziót, a fogak alakját és méretét is ellenőrizni tudtuk, minden tökéletesnek bizonyult (13. ábra)
Egy héttel később az ideiglenes pótlást eltávolítottuk, az SRA felépítményeket újrahúztuk 35 Ncm-es nyomatékkal, majd a feszülésmentesen illeszkedő végleges fogpótlás protetikai csavarjait is meghúztuk 15 Ncm-rel.
A csavarnyílások fedése után szinte nem is kellett állítani
az okklúzión és az artikuláción, majd panorámafelvételen ellenőriztük az implantátumok és a pótlás pontos illeszkedését (14. ábra). A pácienst felvilágosítottuk a megfelelő tisztításról.
A páciens további kontroll-vizsgálatokon jelent meg egy, illetve 3 hónap múlva, amelyek során nagyon elégedett volt, és mi is mindent rendben találtunk. A csavarozható pótlást az első kontroll alkalmával eltávolítottuk, hogy ellenőrizzük a peri-implantáris mukóza állapotát és a páciens szájhigiéniát, felhívtuk a figyelmét, hogy melyik területen kell gondosabban ügyelnie a tisztításra.
A digitális munkamenetnek és Straumann BLX rendszernek hála, egy nagy kihívást jelentő, teljesen fogatlan rizikójú páciensnél is előre kiszámítható, esztétikus eredményt lehet elérni, igen rövid idő alatt. A digitális eszköztár által
csökkenthetjük az orvos-páciens találkozók számát, ami különösen napjainkban nem elhanyagolható. A digitális módszerekkel sokkal könnyebb csavarozható pótlást tervezni, amelyek eltávolíthatósága létfontosságú a hosszú távú sikeresség szempontjából.
A cikk az Orion Dental Budapest közreműködésével készült.
Dr. Joseph Choukroun sajátmárkás felszívódó prémium
MONOGLYC™ felszívódó varróanyag típusok:
4/0 DS18 45 cm
4/0 DS21 70 cm
4/0 DS18 70 cm
6/0 DSM13 45 cm
5/0 DS18 45 cm
5/0 DS18 70 cm
5/0 DSM13 70 cm
5/0 DSM16 45 cm
KETTÔT FIZET, HÁRMAT KAP azonos kiszerelés esetén, vagy 20% kedvezmény vegyes kiszerelés esetén, min. 3 doboz, egyidejû vásárlásakor!
www.harmonycom.hu
Elképesztően GYORS1
Elképesztően PONTOS2
Wireless vagy vezetékes változat
Bevezető ár: 5 699 000 Ft helyett
most bruttó 4 999 000 Ft-tól.
„Gyors, tervezhető és nagyon pontos. Mindenkinek csak ajánlani tudom” (Dr. Dombi Ábel).
ortho szimuláció; anatómiai analízis; harapási mozgáspálya mérés; automatikus lenyomat beillesztés.
Carestream Dental – CS 9600
A legokosabb CBCT
CBCT – Panoráma – FaceScan – Teleröntgen –Model Scan
Felhasználóbarát okos
funkciók
• AI-alapú pozícionálás
• Automatikus fogív és csontozat felmérés
Nincs többé lemaradt fog vagy hibás beállítás!
• 120 kV: még jobb kép, még kevesebb káros sugárzás
• Lenyomat + FaceScan illesztés
• Fúrósablonkészítés
• FOV: akár 16x17 cm
• Felbontás, alsó+felső állcsont: 75 μm
• Virtuális teleröntgen a 3D felvételből
Shining 3D Dental
Intraorál szkenner I Labor szkenner I Arc scanner I 3D nyomtató
Tel.: 06-20-982-6148
info@nextdental.hu www.nextdental.hu
A világ minden részén a felnőtt lakosság jelentős hányada parodontális elváltozásoktól szenved. A prevalenciája és a szájüregi egészségre gyakorolt kedvezőtlen hatása Indiában is megegyezik a világ bármely másik táján megfigyelhető negatív trendekkel. A parodontitis nem válogat nem, rassz, kaszt vagy vallás szerint, mindenkit egyforma mértékben érint.
Több tanulmány is megerősíti, hogy a teljes felnőtt lakosság körében a parodontális elváltozások 30%-nál nagyobb incidenciával rendelkeznek. Ezek megdöbbentő számok. Ez azt jelenti, hogy egyedül Indiában több mint 300 millió ember szenved parodontális betegségekben. Ha ehhez még az ínygyulladásban szenvedő betegeket is hozzávesszük, akkor még megdöbbentőbb számokat kapunk. Jelenleg a parodontitist tudjuk a fogelvesztés mögött álló elsőszámú kóroki tényezőként azonosítani. Annak ellenére, hogy számtalan olyan rizikó tényezőt és etiológiai faktort tudunk felsorolni, ami a parodontális elváltozások kialakulásához hozzájárulhat, mégis a dentális plakk, azaz a fogakon képződött lepedék rétege a fő oka parodontális betegségek kifejlődésének. A parodontitis megelőzése érdekében azonban ugyanezt a tényezőt tudjuk a legegyszerűbb módon csökkenteni és kontroll alatt tartani.
Számtalan publikációban olvashatjuk, hogy a fogorvosok páciensekhez viszonyított alacsony száma, valamint a páciensek szájhigiéniával kapcsolatos elégtelen ismeretei állnak a legnagyobb valószínűséggel az indiai lakosság körében diagnosztizált parodontitis magas incidenciája mögött. Azonban elenyésző azon tanulmányok száma, amiben a fogorvosok plakk-kontroll fontosságával kapcsolatos ismereteiről és a csökkentésének lehetőségeivel kapcsolatos véleményéről olvashatunk. Nem tudjuk, hogy melyek azok a jó gyakorlatok, amelyek mindennapi alkalmazását a pácienseik számára javasolják, és miként motiválják ezek elvégzésére őket. Ezen hiányosságok ismeretében úgy gondoltuk, hogy egy online kérdőív segítségével jobban megismerhetnénk ennek a kérdéskörnek a fontosabb aspektusait. A kérdőívben szereplő kérdések megválaszolásához többszörös választási lehetőséget biztosítottunk, és a kérdőívhez vezető linket az indiai fogorvosok számára elérhető szociális médiafelületeken tettük közzé.
Több mint 500 fogorvos válaszolt a kérdőívben feltett kérdésekre. A vizsgálatban résztvevők között a nemek aránya közel egyenlő mértékben oszlott meg (52% férfi, 48% nő). A megkérdezettek életkora 23 és 65 év között mozgott, és a legtöbben a 29-50 éves korcsoportból töltötték ki a tesztet. A válaszadók között szerepeltek olyan fogorvosok, akik még csak most kezdték el szakmájuk gyakorlását, és olyan kollégák is, akik akár már 25-30 év szakmai gyakorlattal rendelkeztek. A vizsgált csoportban alapdiplomával rendelkező fogorvosok és szakvizsgával rendelkező specialisták is szerepeltek. A megkérdezettek nagy része (54%) a fogorvostudomány terén megszerzett mesterdiplomával rendelkezett. Mára általánosan elfogadottá vált az a nézet, miszerint a parodontális elváltozások leggyakrabban a fogközökben alakulnak ki, mivel a lepedék itt halmozódik fel a legkönnyebben. Ennek ismeretében a kérdőív összeállításakor kellő súlyt fektettünk azokra a kérdésekre, amelyek a fogközök szerepével és ezeknek a területeknek megfelelő tisztántartásával kapcsolatos ismereteket mérik fel.
A megkérdezett fogorvosok több mint 96%-a azt válaszolta, hogy a hozzá forduló páciensek számára rendszeresen javasolja a különböző fogköztisztító eszközök használatát. Úgy véljük, hogy ez a kimagasló arány megfelelően tükrözi ennek a kérdéskörnek a fontosságát. A fogközök tisztására javasolt eszközök szempontjából adott válaszokat két fő csoportra lehetett bontani. A válaszadók 55%-a az interdentális kefék, 40%-a pedig a fogselyem napi szintű használatát javasolta. Csupán a megkérdezettek 2,65%-a ajánlotta a szájzuhany alkalmazását. A válaszok elemzését követően arra a következtetésre jutottunk, hogy mivel az indiai emberek nagy része rendkívül érzékeny a szájápolási termékek árára, ezért
vélelmezhetően, a szájzuhany elvégzéséhez szükséges készülékek magas ára tartja vissza a legtöbb fogorvost ennek a megoldásnak az ajánlásától.
A kérdőív a fogközök tisztításával kapcsolatos további kérdéseket is tartalmazott. Arra voltunk kíváncsiak, hogy a fogorvosok milyen figyelmet fordítanak a saját fogközeik napi szintű tisztántartására. A megkérdezettek közel fele bevallotta, hogy nem használ fogköztisztító eszközöket, és további 35%-uk azt válaszolta, hogy alkalomszerűen tisztítja meg a fogközeit. Ezek a számok egyértelmű ellentétre utalnak: úgy tűnik, hogy a fogorvosok saját maguk nem alkalmazzák azokat az eszközöket, gyakorlatokat, amelyeket rendszeresen a pácienseiknek javasolnak. Ennek alapján felmerül az a kérdés, hogy a fogorvosok vajon kellő mértékben bíznak-e a fogközök tisztítására szolgáló eszközök szükségességében és hatékonyságában? A válaszadók több különböző okot is felsoroltak azzal kapcsolatban, hogy saját maguk miért nem használnak fogköztisztító eszközöket. Ezt a leggyakrabban azzal indokolták, hogy úgy érzik, hogy a fogkefével történő fogmosás során is megfelelően meg tudják tisztítani az interapproximáis területeiket, többen pedig azt felelték, hogy rendkívül szoros fogközökkel rendelkeznek.
A kérdőívben a páciensek fogköztisztító eszközök alkalmazásával kapcsolatos hajlandóságát is vizsgálták. Arra voltak kíváncsiak, hogy a fogorvosok szerint, melyek azok a legnagyobb nehézségek, amelyeket a páciensek a fogköztisztító eszközök használatával kapcsolatban leggyakrabban említettek. A fogorvosok 54%-a szerint a legnagyobb gondot a páciensek fogközök tisztántartásával kapcsolatos ismere-
teinek a hiánya jelenti, és ezt pedig a megfelelő motiváció hiánya és a fogköztisztító eszközök technika-érzékeny alkalmazhatósága követi. Néhányan azt válaszolták, hogy a páciensek szerint a fogköztisztítás túl sok időt vesz igénybe, míg a válaszadók 10%-a a páciensek árérzékenységét hangsúlyozta, miszerint ezek az eszközök sokba kerülnek
A szájöblítő oldatokat rutinszerűen alkalmazzák a mechanikai plakkeltávolítás kémiai úton történő kiegészítésére (kémiai plakk-kontroll). A használatuk rendkívül népszerűnek számít a fogorvosok és a pácienseik körében, mivel könnyen elérhetőek és költséghatékonyak, továbbá rendkívül egyszerűen és időtakarékosan alkalmazhatóak. A kérdőívben rákérdeztünk arra is, hogy miként ítélik meg a szájvizek plakkcsökkentő hatását. A válaszadók 40%-a hitt abban, hogy a lepedékeltávolító hatásúként hirdetett szájvizek képesek az interdentális plakk megfelelő mértékben történő redukciójára, míg közel ugyanennyien úgy gondolták, hogy ez nem feltétlenül igaz. A megkérdezettek maradéka (20%) nem tudott egyértelműen állást foglalni ebben a kérdésben.
A kérdőívek eredményeinek kiértékelése során egy másik érdekes megállapítást is tettünk. Annak ellenére, hogy a válaszadók 60%-a sosem használt még egycsomós fogkefét, az 57%-uk úgy gondolta, hogy ezeknek a fogkeféknek a használata minden páciens számára rendkívül előnyös lehet. A fogorvosok egy része ezzel szemben viszont úgy vélte, hogy az egycsomós fogkefék jobban definiált indikációs területtel rendelkeznek. A véleményük szerint ezeknek a fogkeféknek a használata csupán a rögzített fogszabályzó készüléket viselő, vagy torlódott fogazattal, illetve implantátumokkal rendelkező páciensek számára jelent előnyöket. Ezek az eredmények jól rávilágítanak az oktatási rendszerünkben rejlő hiányosságokra: a megkérdezett fogorvosok
többsége, akik közül néhányan több mint 25 éves szakmai gyakorlattal rendelkeztek, még sohasem használt egy olyan alapvető szájhigiéniás eszközt, mint az egycsomós fogkefe. Az elmúlt évek során az implantátumokkal rendelkező páciensek száma exponenciálisan növekedett. Ebből fakadóan arra is kíváncsiak voltunk, hogy a fogorvosok milyen módszereket javasolnak az implantátumok napi szintű tisztítására, valamint az implantátumok környezetében kialakult lepedék eltávolítására. Megdöbbenve tapasztaltuk, hogy vizsgálatban résztvevő fogorvosok 20%-a semmilyen kiegészítő szájhigiéniás teendőt sem javasol az implantátumokkal rendelkező pácienseik számára. A válaszadók 30%-a erre a feladatra szájzuhany használatát javasolta. Az implantátumok tisztításához kifejlesztett speciális fogselyem/szalag, a fogköztisztító kefék és az egycsomós fogkefék használatát csupán a fogorvosok 20%-a javasolta. A megkérdezettek közül csak ketten ajánlották a hidroszónikus fogkefék használatát (Hydrosonic sonic brush; CURAPROX). A szájzuhany jelentőségét jól mutatja, hogy a legtöbben ennek az eszköznek a használatát javasolják az implantátumok tisztántartásának érdekében, azonban ennek az információnak a fényében furcsán hat, hogy a megkérdezett fogorvosok közül alig néhányan ajánlják rutinszerűen ezeknek az eszközöknek a használatát. Az egyéni szájhigiénés eszközök megfizethetőségével kapcsolatos korábbi megállapításunk megfelelő módon alátámaszthatja ezt a megfigyelésünket. Azoknak a pácienseknek, akik megengedhetik maguknak a drága fogászati kezeléseket (mint az implantátumok beültetését), a szájzuhany használatát is gyakrabban javasolják, mivel az anyagi lehetőségeik hiánya nem áll az eszköz használatának útjában.
Az egyéni szájhigiénia fenntartásának legegyszerűbb eszköze a fogkefe, ám ennek ellenére ezzel az eszközzel lehet a fogakon lévő lepedéket a leghatékonyabban eltávolítani. Amikor a fogorvosokat arról kérdeztük, hogy milyen keménységű sörtékkel rendelkező fogkefék használatát javasolják, akkor a legtöbben (62%) puha, 12,5%-uk pedig extra-puha fogkefék alkalmazását ajánlotta. A megkérdezettek közel 25%-a pedig közepes erősségű fogkefék használatát tartja célszerűnek.
Arra is kíváncsiak voltunk, hogy a fogorvosok tisztában vannak-e a szónikus fogkefék működési módjával. Az ezzel
kapcsolatos kérdésünkre a tesztet kitöltők közel 40%-a azt válaszolta, hogy tisztában van a szónikus fogkefék működési elvével, míg 60%-uk nem tudta, vagy csak sejtései voltak ezzel kapcsolatban.
Mi őszintén hiszünk abban, hogy azon páciensek körében, akik már tisztában vannak a szájüregi egészség fenntartásának fontosságával, ezt követően sokkal népszerűbbek lesznek a preventív fogászati beavatkozásokat biztosító programok. Sőt, ezzel kapcsolatban a fogorvosok véleményét is kikértük. A megkérdezettek elsöprő többsége (97%) egyetértett azzal, hogy a rendelőjükben sokkal nagyobb figyelmet kell a megfelelő plakk-kontroll oktatására fordítani, és 91%-uk úgy gondolta, hogy a preventív fogászati rutinok mindennapi munkájuk során történő alkalmazása a pácienseik előnyére válna. A válaszadók többsége (76%) rendszeresen időt szakított arra, hogy a pácienseit a megfelelő fogászati prevenció elvégzésének lehetőségeire oktassa, ám saját bevallásuk szerint a legtöbben páciensenként csupán 2-5 percet fordítottak erre. Az ezzel a feladattal eltöltött idő mennyiségét rendkívül kevésnek tartjuk!
Az eddigiek összefoglalásaként elmondhatjuk, hogy az indiai fogorvosképzésben sokkal nagyobb figyelmet kell fordítani arra, hogy a hallgatók tisztában legyenek a páciensek által végezhető plakk-kontroll gyakorlati megvalósításával, és a pácienseket jobban fel kell erre készíteni. Lehetőséget kell biztosítani számukra, hogy saját kezűleg kipróbálják az öszszes, jelenleg elérhető egyéni szájhigiéniás eszközt, hogy megismerjék az egyes eszközök előnyeit és hátrányait, és hogy megbeszéljék a tapasztalataikat. Nagyon fontos a megfelelő plakk-kontroll fontosságának a hangsúlyozása, és a páciensek részére az ehhez szükséges gyakorlati ismeretek átadása.
Nem szabad elfelejteni, hogy a lepedékmentes fogazat jelenti a saját fogak megőrzésének alapkövét!
Forrás: Prevention; 2020,2 16-18
A sikeres prevenció kulcsa a páciensek
Az endodonciai beavatkozások hosszú távú sikerességének biztosítása érdekében minden esetben feltétlenül szükség van a teljes gyökércsatorna-rendszer alapos és mélyreható tisztítására, fertőtlenítésére. A gyökércsatornafalak mechanikai megmunkálása során jelentős mértékben megváltozik gyökércsatornák belső anatómiai megjelenése, valamint a mechanikai tágítás során szerves, illetve szervetlen dentin törmelék és smear layer képződését is megfigyelhetjük. Ennek megfelelően az endodonciai beavatkozások sikerességének biztosítása érdekében nem csupán a gyökércsatornák hagyományos eljárásokkal történő tisztítására és a képződött szövettörmelék, valamint a smear layer eltávolítására, hanem a kémiai úton végzett fertőtlenítésre, továbbá az átöblítő szerek mechanikai megmunkálással együtt történő alkalmazására is szükség van. Csak így tudjuk a smear layer és a gyökércsatornában lévő törmelék megfelelő módon történő feloldását biztosítani. Sőt, a potenciálisan pathogén mikroorganizmusokat tartalmazó smear layert tulajdonképpen mi magunk hozzuk létre a gyökércsatornák belvilágának tisztítása és feltágítása során, és a csatornafalakon esetlegesen visszamaradt smear layer a későbbiekben periapikális elváltozások kialakulását is okozhatja. A smear layer eltávolítására több különböző hatóanyaggal rendelkező átöblítő oldat is rendelkezésünkre áll. Ezek közül a nátrium-hipokloritot és az etilén-diamin-tetraecetsavat (EDTA) szeretnénk kiemelni. A nátrium-hipoklorit hatékonysága a szerves szövettörmelék feloldásának terén tapasztalható, míg az EDTA a smear layer szervetlen részének eltávolításában jeleskedik. Azonban fontos kijelenteni, hogy egyik átöblítő szer sem képes önmagában alkalmazva a smear layer teljes körű eltávolítására.
A gyökérkezelés sikeressége érdekében több kritériumnak is meg kell felelni: a gyökércsatorna-rendszerben található baktériumok számát a lehető legnagyobb mértékben
le kell csökkenteni, a gyökércsatornákat megfelelő módon fel kell tágítani és ki kell fertőtleníteni, valamint végül egy gyökércsúcsig érő és kielégítő mértékben falálló gyökértömést kell készíteni. Az átöblítő szerek alkalmazásának az az egyik legnagyobb hátránya, hogy a baktericid hatásukat szinte csak a főcsatornán belül képesek kifejteni. A dentin tubulusok kis átmérője és az átöblítő szerek nagy felületi feszültsége miatt ezek az oldatok csak kis mélységben tudják a dentincsatornácskákat infiltrálni. A kémiai fertőtlenítő hatásuk csak a csatornafaltól számított 100 µm-es mélységben figyelhető meg. Ugyanakkor a baktériumok a főcsatorna falától számított 1000 µm-es mélységig képesek a dentincsatornácskákat penetrálni (Kouchi és mtsai; Ando és Hoshino). Ennek megfelelően ezek a dentintubulusok mélyén lévő baktériumok védve vannak a hagyományos megmunkálási eljárások alkalmazása során elérhető fertőtlenítő hatásoktól. Ebben a nehezen elérhető térben jellemzően Gram-negatív baktériumokat találunk, amelyek az általánostól eltérő migrációs tulajdonságokkal és az átöblítő szerek kémiai hatásával szembeni jelentős ellenálló képességgel rendelkeznek. A hagyományos endodoncia fertőtlenítő eljárások nem képesek érdemben csökkenteni a virulenciájukat. Idővel azt is megfigyelhetjük, hogy az itt található bakteriális flóra a periapikális térbe jutva, különböző pathológiás folyamatokat és gyulladásos elváltozásokat alakít ki. Mivel a hagyományos gyökérkezelési módszerek alkalmazása nem minden esetben elégséges a sikeres végeredmény biztosításához, ezért azokra az újszerű eljárásokra is szükség van, amelyek segítségével képesek lehetünk a kezelések hosszú távú sikerességének a biztosítására, valamint a hagyományos megmunkálási eljárások ismert hiányosságainak kiküszöbölésére.
Manapság az endodonciai célú lézerek alkalmazásának segítségével rendkívül kedvező módon tudjuk javítani a gyökértömött fogak várható prognózisát. A lézersugarakkal történő kezelés során eltérő hatásokat tudunk kivál-
tani ugyanazon szöveteknél, valamint néhány lézer képes többféle szövetnél különböző hatások kiváltására. Több szakirodalmi forrás is megerősíti, hogy az Er:YAG és az Er,Cr:YSGG lézerek oly módon képesek ablatálni a fogakat alkotó keményszöveteket, hogy közben csak minimális mértékben károsítják a pulpát és a környező szöveteket.
Az Er:YAG lézerek azért tudják kimagasló hatékonysággal ablatálni a zománcot és a dentint, mivel a víz és a hidroxiapatit rendkívül nagymértékben abszorbeálja az erre a lézerre jellemző lézersugarakat. A zafír hegyben végződő száloptikával ellátott impulzus üzemmódban alkalmazott
Er,Cr:YSGG lézer pedig rendkívül hatékony módon képes a vízpermetben gazdag levegőt tartalmazó környezetben a zománc, a dentin, valamint a csontállomány vágására. Ennek a különleges tulajdonságának köszönhetően vízpermetben gazdag környezetben alkalmazva mindkét lézer képes a gyökércsatorna-rendszerben lévő szövettörmelék és a csatornafalakat borító smear layer eltávolítására. Egy 1,064 nm-es hullámhosszon alkalmazott Nd:YAG lézer segítségével számunkra kedvező módon tudjuk megváltoztatni a gyökércsatornák belső felszínét. Az alkalmazott teljesítmény függvényében lehetőségünk van a megmunkálás során esetlegesen visszamaradt lágyszövetek, valamint a smear layer teljes vagy részleges eltávolítására.
A jelenlegi ismereteink szerint úgy tűnik, hogy a gyökércsatornán belüli felhasználás szempontjából az Nd:YAG lézerek a legalkalmasabbak a kívánt feladatok elvégzésére. Ennek a lézernek a gyökércsatorna-rendszer fertőtlenítése céljából történő alkalmazásáról áll rendelkezésre a legtöbb szakirodalomi infromáció. Az Nd:YAG lézerek endodonciai célú felhasználásával kapcsolatos kutatások nagy részében a lézerek bakteriális csíraszám csökkentő képességét vizsgálták. Napjainkra egyre szélesebb azon endodonciai beavatkozások köre, ahol gyökércsatorna-rendszer fertőtlenítésének, valamint a szövettörmelék és a mechanikai megmunkáláson átesett gyökércsatorna-falakon képződött smear layer eltávolítására lézerek is alkalmazásra kerülnek. Talán ez jelenti azt a megoldást, amivel a hagyományos biokemomechanikai megmunkálás terápiás hatásait és ismert hátrányait megfelelően ellensúlyozni lehet.
A gyökérkezelések után jelentkező sikertelenségek nagy része továbbra is a bakteriális zárás elégtelenségéből ered. A megfelelő bakteriális zárás kialakítása során a legnagyobb kihívást még mindig az jelenti, hogy a gyökércsatornák fala és a gyökértömések elkészítése során leggyakrabban alkalmazott anyag, azaz a guttapercha között időtálló szivárgásmentes kapcsolatot alakítsunk ki. Tudományos vizsgálatok során megállapították, hogy a sikertelen endodonciai beavatkozások közel 60%-át a nem megfelelően elkészített gyökértömések és gyökércsatorna-rendszer elégtelen zárása okozza. Annak ellenére, hogy a guttapercha a leginkább elterjedt és a leggyakrabban alkalmazott gyökértömő anyag, a gyökértömések elkészítése során ezt az anyagot nem tudjuk önmagában alkalmazni, mivel nem rendelkezik azokkal a megfelelő tapadást biztosító tulajdonságokkal, amelyek a gyökércsatorna-rendszer belvilágának a tökéletes zárásához szükségesek. Ennek megfelelően a végleges gyökértö-
mések elkészítése során minden esetben szükségünk van valamilyen sealerre vagy cementre, amelyek a guttapercha ezen hiányosságát pótolni tudják. A Resilon/Epiphany rendszer egy olyan újszerű anyagot használ a gyökértömések elkészítésére, amely képes a gyökércsatornák belső felszínével kémiai kötést kialakítani, és így jelentős mértékben tudja csökkenteni a mikroszivárgás (microleakage) kialakulásának a lehetőségét.
A gyökérkezelések során jelentkező alapvető problémák és nehézségek tudományos vizsgálata kifejezett mértékben hozzájárul lézersugárzásnak kitett biológiai anyagok felszínén lejátszódó jelenségek, valamint ezen jelenségek hatásainak még pontosabb megértéséhez. Az általunk elvégzett vizsgálatnak az volt a célja, hogy összehasonlítsuk a smear layer különböző módszerekkel történő eltávolítása után a bakteriális zárás minőségében megfigyelhető különbségeket. A smear layer eltávolítása hagyományos kémia (EDTA alkalmazásával és EDTA alkalmazása nélkül), illetve Er,Cr:YSGG és/vagy Nd:YAG lézer alkalmazásával járó módszerekkel történt. A gyökértömés elkészítése során a Resilon/Epiphany rendszert alkalmaztuk.
A vizsgálat során 72 darab káriesz vagy bármilyen típusú fogászati restaurátumtól mentes, egycsatornás, az eltávolítást követően 0,9%-os, 4 oC hőmérsékletű sóoldatban tárolt marhafogat használtunk. A folyékony tároló közegbe helyezésük előtt a fogak felszínén esetlegesen visszamaradt lágyrészeket, illetve fogkövet és lepedéket szikepengékkel, valamint egyéb kézi eszközökkel eltávolítottuk, majd ezt követően a fogakat alaposan folyóvízzel lemostuk. A vizsgálat elvégzéséhez rendelkezésre álló mintákat véletlenszerűen 6 darab, 12 fogat tartalmazó csoportba osztottuk. Az egyes gyökércsatornák feltágítása során alkalmazott munkahossz a gyökércsúcsi nyíláshoz képest egy 1 mm-rel rövidebb volt. A csatornák megmunkálása során a definitív apikális stop kialakítása érdekében növekvő sorrendben #30-as méretig Kerr-tágítókat alkalmaztunk (Maillefer). Ezt követően a gyökércsatornákat fiziológiás sóoldattal alaposan átöblítettük, majd papír poénok segítségével (Dentsply Sirona) óvatosan kiszárítottuk. Ez után az 1-4-es csoportba tartozó mintákat lézeres kezelésben részesítettük, valamint néhány csoportnál EDTA-t (Produits Dentaires; 15ml, LOT 6217 FL) is alkalmaztunk a smear layer eltávolítása érdekében. Végső átöblítésként fiziológiás sóoldatot használtunk (1. táblázat)
A gyökércsatornák megmunkálását követően mind a 72 mintát a Resilon/Epiphany rendszerrel történő gyökértömés elkészítéséhez készítettük elő. A gyökércsatornákban lévő nedvességet papír poénok segítségével (Dentsply Sirona) távolítottuk el, majd ezt követően egy száraz papír poént önsavazó primerbe mártottunk (SybronEndo; 6 ml, ref. No. 972-2007), és ezzel a primerrel átitatott papír poén segítségével vittük fel egy vékony rétegben ezt az anyagot a gyökércsatornák falára. Ezután meghatároztuk a gyökértöméshez felhasználni kívánt Resilon mesterpoén méretét, majd egy önkeverő fecskendőből kis mennyiségű
Csoport sorszáma
Előkészítés módja Lézer paraméterek
Er,Cr:YSGG = (1,5 W, 20Hz),
140μs, [Waterlase MD]*
Hagyományos előkészítés
Száloptika/végződés átmérője
Besugárzás módja A csoporthoz tartozó minták száma
1
és EDTA, valamint Er,Cr:YSGG és Nd:YAG lézer alkalmazása
2 Hagyományos előkészítés és Er,Cr:YSGG, valamint Nd:YAG lézer alkalmazása
Nd:YAG = (1.5 W, 15Hz)
Pulzus hossz = 160μs
[Fotona]**
Ugyanaz, mint * és **
Er,Cr:YSGG = 320 μm Nd:YAG = 200 μm
Er,Cr:YSGG = 320 μm
= 200 μm
duál-kötésű Resilon sealert (SybronEndo; 4ml) nyomtunk egy üveglapra. A sealert a gyökércsatornákba az önkeverő fecskendőre applikált speciális csőr, valamint az üveglapra kinyomott sealerbe forgatott, előre bemért méretű Resilon mesterpoénok, valamint gyökérkezelő tűk segítségével juttattuk be. A sealer viszkozitását egy-két csepp RealSeal Thinning Resin (SybronEndo, ref. No. 972-2006) segítségével módosítottuk. A gyökértömések elkészítése során laterál kondenzációs technikát alkalmaztunk. A mesterpoén behelyezését követően a szintén Resilon Core anyagból készült segédpoénokat a kinyomott sealerben óvatosan megforgattuk, és a sealerrel vékonyan bevont poénokat egymás után a gyökércsatornába helyeztük, majd megfelelő erő segítségével a csatornafalakhoz komprimáltuk. A gyökércsatornák feltöltését követően a gyökértöméseket koronális irányból 40 másodpercen keresztül polimerizációs lámpával megvilágítottuk. Utolsó lépésként az összes fog koronai részét is helyreállítottuk.
A koronai rész helyreállítása során a gyökértömés elkészítéséhez szükséges üreg felszínét 15 másodpercen keresztül 35%-os orthofoszforsavat tartalmazó zselével savaztuk, majd alapos lemosást és szárítást követően az előkészített üregfelszínt egy réteg primerrel (Syntac Primer, Ivoclar Vivadent), adhezívvel (Syntac Adhesive, Ivoclar Vivadent) és bonndal (Heliobond, Ivoclar Vivadent) lekentük, majd 20 másodpercen keresztül fotopolimerizációs lámpa segítségével megvilágítottuk
(Translux, Kulzer). A gyökércsatornák legkoronálisabban elhelyezkedő 2 mm-es szakaszának lezárása során a több rétegben behelyezett A3-as színű kompozitot (Ivoclar Vivadent) használtunk. Az egyes rétegeket 40 másodpercen keresztül világítottuk meg fotopolimerizációs lámpa segítségével. A festék penetrációs teszt elvégzésének előkészítéséhez a minták külső felszínét a legapikálisabban elhelyezkedő, 2 mm-es szakasz kivételével két réteg körömlakkal borítottuk (Sally Hansen, Del Laboratories). Ezt az apikális 2 mm-es szakaszt azért hagytuk szabadon, hogy a festék csak a gyökér apikális részén keresztül juthasson be a fog belsejébe. A valós klinikai körülmények szimulálása érdekében az így előkészített mintákat csoportonként külön-külön edényekbe helyeztük, majd ott 5 napon keresztül 37 °C-os desztillált vizet tartalmazó környezetben tartottuk.
Az inkubációs idő leteltét követően az előkészített fogakat csoportonként külön edénybe rakva 2%-os metilénkék vizes oldatába helyeztük. A mintatároló edényeket 7 napon keresztül 37 oC-os hőmérsékleten tartottuk, hogy az oldatban lévő festékanyag a kapilláris hatás révén a gyökércsatorna belsejébe tudjon szivárogni. Az egyhetes penetrációs periódus után a mintákat 5 percen keresztül bő folyóvízben lemostuk, majd 24 órára ismét 37 oC-os desztillált vizet tartalmazó edényekbe helyeztük. Ennek a fázisnak a végén ismét lemostuk, majd megszárítottuk ezeket. A következő lépés a minták dehidratálása volt, a folyamat során a fogakat egyre növekvő koncentrációjú
alkoholos oldatokba helyeztük (70%-os 24 órán keresztül, 96%-os szintén 24 órán keresztül és végül 100%-os 48 órán keresztül). Utolsó lépésként 2 órán keresztül szövettani vizsgálatokhoz alkalmazott tisztítófolyadékba kerültek (HistoClear II, National Diagnostics), majd csoportonként elkülönítve rezint (K Plast) tartalmazó mintatároló edényekbe helyeztük. A mintatároló edényeket a rezin megkötéséig (kb. 4-7 napig) vízfürdőbe merítve tartottuk. A kötési folyamat befejeződését követően a mintákat tartalmazó üvegedényeket eltörtük, majd a rezinbe ágyazott mintákat egyenként vazelinnel kikent falú, általunk készített mintatároló dobozokba helyeztük. A vazelin használatára azért volt szükség, hogy megakadályozzuk a mintákat borító rezinnek (műgyanta) a mintatároló doboz falához tapadását.
A festék penetrációs képességét a metilénkék oldatba történő merítést követően készített kereszt- és hosszmetszeti képek fénymikroszkóppal történő vizsgálatát követően értékeltük ki (Leica DMRX integrált Hitachi HVC20A kamerával, Leica Microsystems; az objektív nagyítása: 0,63x; az optikai lencse nagyítása: 10x). A kiértékelés során számítógépes programot alkalmaztunk (Diskus, Hilgers Technisches Büro). Az 500 µm vastagságú horizontális metszetek elkészítését követően 3 részre osztottuk a gyökeret: apikális, középső és koronális harmadra. A horizontális metszeteket szintén fénymikroszkóppal és az előbb említett számítógépes program segítségével vizsgáltuk (objektív nagyítása: 2x; az optikai lencse nagyítása: 10x). Fontos megemlíteni, hogy a digitális kamera, amely a mikroszkóppal látható képet a számítógépbe továbbítja, valamelyest felnagyítja a képet, de ennek a nagyításnak a mértékét nehéz pontosan meghatározni. Ennek megfelelően a monitoron látható, illetve a kinyomtatott kép nagyításának mértékét az alkalmazott monitor mérete is befolyásolja. Ennek megfelelően a vizsgálati eredményeink ismertetése során csupán az objektív és az optikai lencse nagyítását közöljük.
A kapott adatok kiértékelése során a StatView nevű számítógépes programot alkalmaztuk (SAS Institute Inc.). A festék penetrációs képességét a kereszt- és hosszmetszeti képek alapján csoportonként külön-külön megvizsgáltuk, és így a kapott adatok összesítését követően egy közel 3 dimenziós képet kaptunk a szivárgás mértékéről. A vizsgálat során nyert adatok statisztikai elemzését három független szakértő végezte. Az adatok elemzése során az egyes csoportok eredményei között esetlegesen fennálló különbségek azonosítása érdekében Kruskal–Wallis-próbát (p<0,05), és a különbségek mértékének rangsorolása miatt Wilcoxon-próbát (p<0,05) is végeztek). A statisztikai kiértékelést végző személyek nem ismerték, hogy az egyes csoportokba tartozó minták előkészítése során milyen módszereket alkalmaztunk. A kiértékelés során felmerülő esetleges véleménykülönbségeket minden esetben megbeszélték, és végül egy mindenki által elfogadott álláspontot alakítottak ki. Mivel a kiértékelés során a vizsgálatot végző személyek a keresztmetszeti képeket 0,63x-os és a horizontális metszeteket 2x-es nagyítás mellett tudták egy számítógépes monitoron keresztül egyszerre megfigyelni, ezért kijelenthetjük, hogy ez a technika jelentős előnyöket biztosított a hagyományos
65.24
1. ábra: A festék átlagos penetrációja mértékének (μm) csoportonkénti bontásban történő bemutatása.
2. ábra: A vertikális irányú metszeteken megfigyelhető átlagos festékpenetráció mélységének (μm) csoportonkénti bontásban történő bemutatása.
mikroszkóp optikán keresztül történő megfigyeléshez képest.
A szivárgás mértékét az alábbi felsorolásban leírtak alapján osztályozták:
– 0: nincs szivárgás;
– 1: maximum 500 µm-es mélységig történő szivárgás;
– 2: maximum 1000 µm-es mélységig történő szivárgás;
– 3: 1000 µm-es mélységet meghaladó szivárgás.
Az 1. ábra a festékpenetráció átlagos mélységét mutatja be csoportonkénti bontásban. Az ábrán jól látható, hogy a festékpenetráció átlagos mélysége a 4. csoporthoz tartozó minták esetében kisebb volt a 3., 5., és a 6. csoportba tartozó minták esetében mért átlagos értékekhez képest. Azonban a 4. csoportban mért eredmények nagyjából megegyeztek a 2. csoport mintáinál megfigyelt értékekkel. A 2. ábrán látható adatok kiértékelését követően arra a megfigyelésre juthatunk, hogy míg az 1. csoportba tartozó minták esetében az apikális harmadban tapasztalható szivárgás mértéke jelentősen meghaladta a koronális harmadban mért szivárgás mértékét, úgy ehhez hasonló jelenséget más csoportokban nem tudunk megfigyelni. Az 1. és az 5., valamint a 6. csoport esetében mért értékek között szignifikáns különbségeket találtunk (p<0,05), míg
A horizontális irányú metszeteken megfigyelhető átlagos festékpenetráció mélységének (μm) csoportonkénti bontásban történő bemutatása.
A festékpenetráció apikális harmadban megfigyelhető átlagos mértéke az 1. csoportban meghaladta a festékpenetráció középső harmadban megfigyelhető átlagos mértékét, de a statisztikai vizsgálat során ez nem bizonyult szignifikáns eltérésnek (p>0,05)
az 1., 2., 3. és 4. csoportban mért értékek összehasonlítása során nem tudtunk ilyen jellegű különbségeket megállapítani (p>0,05). A minták keresztmetszeti vizsgálata során az apikális és a középső gyökéri harmadból vett keresztmetszeti képeken kívül a koronális harmad átmetszeti képét is megvizsgáltuk (3. ábra). Az 1. és a 2. csoport esetében az apikális harmadban látható szivárgás átlagos mértéke jelentősen meghaladta a középső és a koronális harmadban látható szivárgás átlagos mélységét. Azt azonban általánosságban kijelenthetjük, hogy egyik csoport vonatkozásában sem találtunk lényeges különbséget a koronális és a középső harmadban tapasztalható szivár-
gás mértéke között. A hosszmetszeti vizsgálatok során az egyes fogak apikális, középső és koronális harmadában megfigyelhető festékpenetráció mélységét figyelték meg az alkalmazott lézeres besugárzás módja, illetve a választott átöblítési módszerek függvényében.
A kapott eredmények jobb megértésének céljából a penetráció mélységét bemutató adatokat a 2. táblázatban foglaltuk össze. A legkisebb mértékű szivárgást az 1. csoport középső harmadában mértük. Az egyes csoportok esetében mért értékek összehasonlítása során nem találtunk statisztikai szempontból szignifikáns különb-
ségeket (p>0,05). Az első három csoport apikális harmadában mért értékeinek ugyanezen csoportok koronálisvagy középső harmadában mért értékeivel történő öszszehasonlítása során szignifikáns eltéréseket észleltünk (p<0,1). Az ilyen jellegű összehasonlítás során az 1. csoportban mértük a legkisebb különbségeket. A vizsgálati eredmények összesítése után kijelenthetjük, hogy az 1. csoportban – amelynek az előkészítése során mindkét lézert használtuk – mértük a legkisebb festékpenetrációs értékeket. Ugyanebben a csoportban haladta meg szignifikáns módon az apikális harmadban mért penetrációs mélység a koronális, vagy a középső harmadban mért értékeket (4. ábra)
Tudomásunk szerint eddig még nem jelent meg olyan publikáció a szakirodalomban, amely lézerek és a Resilon rendszer egyidejű használatát vizsgálta. Azokban a tanulmányokban, ahol a Resilon gyökértömő anyagként való használatát vizsgálták, a Resilon guttaperchához hasonló hatékonyságáról számoltak be. Jelen vizsgálatunk céljai között az is szerepelt, hogy kiértékeljük a lézeres előkészítésben részesült gyökércsatornafalakat alkotó dentin és a Resilon közti kémiai kapcsolat kialakításának lehetőségét, valamint az így kialakuló zárás minőségét. A vizsgálati eredményeket bemutató ábrák és a statisztikai elemzés eredményeinek kiértékelését követően azt a megállapítást tettük, hogy csupán a mindkét lézerrel besugárzott, valamint EDTA-s felületkezelésben részesült csoportba tartozó minták esetében mértünk statisztikai szempontból szignifikáns mértékben kisebb mélységű festékpenetrációs értékeket. Ugyanennek a csoportnak az apikális és a középső harmadban mért értékeinek az összehasonlítása során nem találtunk szignifikáns eltéréseket. Mivel az egyes gyökéri harmadokban megfigyelhető szivárgás átlagos mértékére vonatkozó adatokat az egyes metszetek esetében mért nyers értékek alapján számítottuk ki, ezért a horizontális metszetek elemzése alapján sokkal pontosabb és megbízhatóbb képet kaphatunk a festékpenetráció tényleges mértékéről (5. ábra). A vertikális irányú metszetekről készült felvételeket bemutató 6. és 7. ábrán jól látható, hogy az ebben a síkban készült metszeteken nem lehet a szivárgás mélységét olyan pontosan és egyértelműen meghatározni, mint a keresztirányú felvételeken. A fentiek alapján a jövőben tervezett vizsgálatok során kizárólag a hossztengelyre merőleges metszetek készítését javasoljuk.
A Resilon egy olyan adhezív módon rögzülő gyökértömő anyag, amely jelen vizsgálatunk szempontja szerint megfelelő minőségű bakteriális zárást tud kialakítani az EDTA-val, valamint Er,Cr:YSGG és Nd:YAG lézerrel előkezelt felszínnel rendelkező gyökércsatornák falával.
Forrás: Roots; 2020,4 6-11
5. ábra: A gyökerek keresztmetszeti képének vizsgálata során készült felvétel. A festékpenetráció mélységét számítógépen futtatott szoftver segítségével határoztuk meg.
6. ábra: A gyökerek hosszmetszeti képének vizsgálata során készült felvétel. Az ilyen irányú metszeteken nem lehet olyan pontos méréseket végezni, mint a keresztmetszeti felvételeken.
7. ábra: A vertikális irányú metszeteken sokkal nagyobb részletességgel lehet az apikális harmadot megfigyelni, de még ennek figyelembe vételével sem vagyunk képesek olyan pontos mérések elvégzésére, mint amit a horizontális metszetek lehetővé tesznek.
Az őskortól kezdve a romló fogakat igyekeztek eltávolítani a szájüregből. Se műszer, se tudás, csak a gyógyító szándék volt kezdetben. Az erős fájdalomtól való megszabadulás vezérelte mind a beteget, mind az arra hajlandó segítőt. Első konkrét fogfogó műszert az ókori görög és római foghúzó mesterek saját maguk által készített „szerszámai” ásatások alkalmával kerültek elő, ezeket már célszerszámnak nevezhetjük, vagyis már az akkori technika segítségével öntvényekből, csavarokkal ellátott fogó formájú kéziműszer készült kizárólag erre a célra, amely a mai fogfogók ősét jelentette. Bár ezek működő része egyáltalán nem volt hasonlatos a mai fogók kifinomult vonalvezetéséhez. A harmonikusan tervezett formája ellenére, hosszú évszázadokig nem volt alkalmas a fog kihúzására.
A kora középkortól kezdve hol orvosok szolgái, fürdősök, borbélyok feladata volt a rossz fogak kihúzása, kiverése, eltávolítása, kivonása. Ugyanis nem ismerték a fogak anatómiáját. Ezzel a tudással a reneszánsz korban ismerkedtek meg, amikor a boncolást elkezdték, majd még 300 év várakozás után a francia Pierre Fauchard (1679-1761) speciális fogászati könyvében alapos ismeretekkel a fogak pontos anatómiai leírása, ismertetése után alakíthatták ki a fogfogókat, igazodva a különböző típusú fogak anatómiai formájához.
Szakmai működést az akkor divatos céhrendszer biztosította, amely szakmai közösséget alkotott, védve a szakma és személyes érdekeket az előírásoknak megfelelően, az utánpótlást biztosítva inasokat tanítottak, speciális feladatokat láttak el. Nem voltak önálló fogászati céhek, hanem a sebészek céhén belül húzhatott valaki fogat, de ugyanakkor megalakult, a borbélyok céhe is, akik fogászati jellegű feladatot is elláthattak. Aki nem volt bármelyik céh tagja, az a törvény szerint nem dolgozhatott. A limitált tudásszintjük ellenére voltak olyan céhlegények a borbélyok között, akik sebészi feladatokat is elláttak. A szakmai határok és kompetenciák nem voltak egyértelműek.
A foghúzás középkori menetéről, körülményeiről fennmaradó képzőművészeti alkotásokat hívjuk segítségül. A vizuális jelek éppoly fontosak a közlésre, mint a nyelvi szimbólumok. A képeknek jelentős társadalmi szerepük van, jellegzetes használati formájuk, akár vallási, művészeti, ideológiai ismeretközlési eszközökként, de minden társadalomban jelen vannak, illetve voltak.
1 Forrai Judit (2005): i. m. 97–116. o.
2 Huszár György: i. m. 38–47. o.
Európában a 15. és a 16. században a kézi sajtó szélesebb körű elterjedésével már sokszorosított képekről is beszélhetünk. A legkorábbi, úgynevezett ősnyomtatványok, fametszetek, rézmetszetek, később litográfiák, olajfestmények és grafikák tudósítanak a mindennapi életről. A képek valójában térbeli objektumok, amelyek narratív potenciállal rendelkeznek, a tér, az idő és a cselekmény egységét mutatják, s arra késztetik a nézőt, hogy a vizuális információkat/jeleket dekódolják, s egyben értelmi összefüggést keressenek a kép tárgya, az alakzat, a színek és a narrációrendszere között. A képi eszközök a színek, a formák, a motívumok, a tárgyak, az alakok segítségével egy érezhető időpillanatban sűrítik össze az időfolyamatot, vagyis a kép cselekményét, amivel megszűnteti az idő tagoltságát és az ábrázolt jelenet, az esemény, a szereplők a kép egy idejével olvad össze. A különlegessége a képnek, hogy egyetlen jelenetet rögzítő látványt (monoscene) történetté alakítja. Ez a vizuális elbeszélés, amely a nézőt, mint voyeuret bevonja a történetbe, részesévé teszi.
Fogak húzását sokféle mesterségből érkező végezte kellő, vagy kevésbé elegendő jártassággal, ezért aztán nem meglepő, ha aranyműveseket, sebészeket, gyógyszerészeket, orvosságárusokat, fürdetőket1 , tyúkszemvágókat, sérvkötőkészítőket, fodrászokat, borbélyokat, hajvágókat, kuruzslókat2, kővágók-lithotomusokat, vásári foghúzókat, vagy akár helyi kovácsokat stb. találunk, akik foghúzással is foglalkoztak, vagy csak érintették e szakmát.
A fájó fogú betegek ellátása nem volt megszervezve, pusztán piaci alapon voltak, akik vándoroltak, és olyanok is, akik helyben végezték a foghúzás gyakorlatát.
Bár számos fogakat kezelők a húzást tartották a szuvas fogak egyetlen radikális megoldásának, a páciensek érthető módon nem szívesen néztek szembe ezzel az érzéstelenítés előtti időkben. A fogászati praktizálók legtöbbje vállalkozott az eljárásra, de csak a specifikus kezeléseket megemlítők körülbelül fele sorolja fel a hirdetéseikben e tevékenységet. A leggyakrabban használt eszköz a fogász kulcs (dental key) volt, amely leginkább egy régimódi dugóhúzóra emlékeztetett: egy karomszerű rész illeszkedett a kihúzandó fogra, és a vízszintes nyelet 180 fokban elforgatva lehetett a fogat oldal irányban eltávolítani.3 (1. ábra)
3 E. Bennion: Antique dental instruments. London: Sothebey Publ. 1986. 29-64. Forrai J.: Célszerűség és esztétikum, fejezetek az orvosi műszerek fejlődéstörténetéből. In: Tanulmányok a természettudományok, a technika és az orvoslás történetéből. Szerk. dr. Vámos Éva és Vámosné dr. Vigyázó Lilly. Országos Múzeum és a Műszaki és Természettudományi Egyesületek Szövetsége. 2008. 179-187.
A pelikán nevű koronatörő eszközt is előszeretettel alkalmazták (2. ábra). Ez az eszköz is csak a kihúzandó fog koronai részt törte ki.
foghúzás, mint látvány nagyközönséget, sok embert vonzott. Volt, ahol dobogót ácsoltak hirtelen, és mint egy vásári attrakciót, mutatták be a foghúzást.
Hatalmas fájdalmat jelentett ez a páciensnek, a bámészkodó embereknek szórakozást, vidámságot is okozhatott. Ugyanis a szenvedés, a közönség számára bemutatva a kínzás egyik válfaja lett az emberek számára, túl azon, hogy a beteg megszabadult őrült fájdalmakkal a rossz fogától. Népszerű volt mások kínszenvedését végignézni. Ez pedig maximálisan kielégítette a tömeg ezirányú igényét.
A 3. ábrán a francia Adrien Victor Auger (1787–1854) által készített litográfián jól látható a beavatkozás pillanatának rögzítése. A cégtáblán Mahoire fogász a nagy mogul felirat hirdeti a mestert. A felírás mellett rajzban szemlélteti a tevékenységét. Cégére, a drótra felfűzött hatalmas, kihúzott fogak messziről is jól láthatóan, egyértelművé teszik működésének célját. A hirtelen megácsolt színpadon elegánsan felöltözött parókás mester, a sámlin ülő beteg fogát épp kivonja. A színpadra kis létrán mászhat fel a delikvens, aki a kalapját levéve leül a sámlira. Hátát egy segédbohóc megtámasztja. Balra kalapos nézőközönség mosolyogva, érdeklődve figyeli az eseményeket.
Az eljárás nemcsak különösen fájdalmas lehetett, de gyakran számottevő kárt is okozhatott a lágy szövetekben, további veszélyt jelentett a fog, az alveoláris csont, vagy akár az állkapocs eltörése, valamint társulhatott hozzá az erős vérzés, továbbá a későbbi seb elfertőződése is. Szükségszerűen a műveletet végzőnek gyorsnak és hatékonynak kellett lennie, a fog helyén az alveolusban ottmaradt üregben a húzást követő vérzés megállítása kompresszióval, továbbra is vitás kérdés volt.
A 17-18. századi fogbetegségeket gyógyítókat többféle szempontból osztályozhatjuk a következőkben: pl. eredeti szakmájuk szerint, vagy mobilitásukat tekintve a helyben dolgozók és a vándorok, akik bizonyos időközönként jelentek meg városokban, településeken. Ilyenkor a piactéren összegyűjtve a fájós fogú embereket, rögtönözve egy ún. „kezelő” területet biztosítva, mintegy vásári aktust jelentett a foghúzás.
Néhány képen bemutatjuk a vásári foghúzók működését, akik megszabott helypénzt, taxát fizettek vásárok idején. A
A másik képen (4. ábra) jobban látható a foghúzás mutatvány jellege. Egy bohóc vezeti, mint egy előadást, magát a beavatkozást. „Hobbi és a színpadi doktor” c. képen egy vásáron vagy piacon egy kulccsal húzza ki a beteg fogát. A beteget balra, a padlóra ültetik a színpadon, ami elég magas, hogy többen és messziről is jól láthassák a színpadi eseményeket. A foghúzást végző a fején tricornes (háromszögű) kalapot és parókát visel. Középen egy bohócszerű tréfás alak, aki a hoppmester, szórakoztatja a tömeget. Ezt a metszetet William Davison Alnwick (1781-1858) készítette, Northumberlandben.
Hogy mennyire fájdalmas volt az érzéstelenítés nélküli fogkivonás, el lehet képzelni. Ezen a karikatúrán szadisztikus mosollyal, élvezettel gyötri a páciensét a „segítő” (5. ábra)
ciája. Ezen kívül a gyógyítás kereskedelmi tevékenység is, amelyre érvényesek voltak a kereslet és kínálat törvényei. A gyógyászati piactéren az elsődleges célok közé tartozott a konkurencia biztos és egyértelmű kizárása is.
A kuruzslás igazából nem a gyógyítási kudarcra utalt, sokkal inkább a gyógyítási privilégiumok szűk lehetőségeire, a szabályos praktizálók által elfogadott és lefektetett munkamegosztásra (orvosok, gyógyszerészek és sebészek), kompetenciákra. Ha ebből a szempontból vizsgáljuk a kuruzslást, minden törvényesen meghatározott kompetenciák nélküli gyógyító „kuruzslóvá” válik. Összességében a kuruzslók nagyon heterogén csoportot alkottak. Voltak köztük gyógyszerárusok és operatőrök, csalók és tapasztalt, tanult emberek is.
John Collier (1850-1934), a kép készítője angol festő és író volt. Prerafaelita stílusban festett, és nemzedékének egyik legkiemelkedőbb portréfestője volt. Zsineggel és fogóval egyszerre végzi kegyetlen beavatkozását, nagy élvezettel az arcán.
A hosszú távú és erős fogfájás minden valószínűség szerint a leggyakoribb ok volt, hogy valaki ennek a kellemetlen eljárásnak alávesse magát, nagyon kevés korabeli hirdetésben kapcsolják össze a fogfájást és a foghúzást. A fogászok gyakran említést tesznek a fogfájásról, speciális gyógyszereket ajánlanak megoldásként. Ezek a hirdetések megegyeznek a kor sebészeti elképzeléseivel, javaslataikkal. August Gottlieb Richter (1742–1812)
Egy utazó vásári foghúzó, épp működés közben, diadalmasan tart egy fogat a levegőben a közönség számára, miután kivonta a fájó fogat az üvöltő páciensből, aki mellette ül egy hintóban G. Gostiaux (1832-?) színes litográfiája szerint. (6. ábra).
Azonban nem mindig színpadi jelenet zajlott, nyilvánosság előtt a piacon. Módosabb embereknél az otthonukba, házhoz ment a fogász. Ott is segítséggel végezte foghúzó feladatát.
A hagyományos (fogászati) történetírásban általában a vándorfogászokat tudatlannak és oktalannak mutatták be, akik feláldozták a naiv nyilvánosságot a meggazdagodás érdekében. Ahogy azonban a modern, a gyógyászat történetével foglalkozó kutatások megmutatták, a gyógyászati praktizálás komplex egészet alkotott, amelyben a szociális, vallási és szakmai tényezők legalább olyan nagy szerepet játszottak, mint a tudományosak. A gyógyulás módjának fontos tényezője a gyógyítóba vetett hit, amely legalább olyan fontos volt akkor is, mint az illető képzettsége vagy legális kompeten-
szerint csak akkor végezzenek húzást, ha teljesen elkerülhetetlen, és akkor is nagyon óvatosan az eljárással járó veszélyek és fájdalom miatt. A fogfájást a legtöbb esetben húzás nélkül is meg lehetett gyógyítani. Richter, a Göttingeni Egyetem professzora, nagyon tapasztalt sebész volt, aki már több mint négy évtizede praktizált. Ennek ellenére a húzást végső megoldásnak tartotta, akkor, amikor a fogfájásra adható belső és külső orvosságokkal már sikertelenül próbálkoztak. Bár számos fogász a húzást tartotta a szuvas fogak egyetlen radikális kezelésének, a páciensek érthető módon nem szívesen néztek szembe ezzel az
legtöbbje vállalkozott az eljárásra, de csak a specifikus kezeléseket megemlítők körülbelül fele sorolja fel a hirdetéseiben. Szükségszerűen a műveletet végzőnek megfelelően gyorsnak és hatékonynak kellett lennie, de a fog helyén ottmaradt üreg (az alveolusban) a húzást követő vérzés megállítás kompresszióval továbbra is vitás kérdés volt.
A gazdagok esetében házhoz ment a praktizáló, a beteget a család gondoskodó légköre vette körül (7–8. ábra).
A 18. század vége felé a foghúzás megjelenik a karikatúraábrázolásban is. Ez egy finomabb változata a reális brutalitás, kínzás, kegyetlenkedés ábrázolásának. A félelem jelen van még, de látszólag nevetésre, vagy mosolyra fakasztja a nézőt a rajz szándékos eltorzításával. Maga a téma, a folyamat,
az üzenet természetesen felismerhető. Az európai művészetekben a végzet, a sors, az elkerülhetetlen elleni lázadás, szembeszegülés kifejezésének eszközeként tűnt fel a kezdetektől fogva.
A karikatúra, mint ábrázolásmód (majd műfaj), amely a társadalmi jelenségek, folyamatok, s a bennük érvényesülő személyiségjegyek, viselkedések belső ellentmondásait eltúlozva, felnagyítva mutatja be, így a fogfájás, a beavatkozás fájdalma és félelme egyaránt láthatóvá válik ebben a műfajban is, csak áttételesen.
A 20. században az érzéstelenítők népszerű használata következtében a fogászati képek művészi ábrázolása, hangulata és üzenete is megváltozik. Már nem a félelem a központi üzenet, hanem van, hogy csak motívumként van jelen a fog, a fájdalom, a foghúzás. Inkább a művészi fantázia, az anyagok biztos és szimbolikus használata, vagy csak egy egyszerű fogászati asszociáció az alapja a művészeti alkotásoknak, mint pl. Picasso képén (10. ábra)
Kijelenthetjük, hogy a fogak torlódása a populáció jelentős részében – a harapási eltérések kísérőjeként – megtalálható. Sajnos – napjainkban is – világszerte már sokszor enyhe torlódások kezelése is a négy premoláris extrakciójával történik.
Korábbi cikkeimben már írtam arról, hogy amennyiben a páciensnek bimaxilláris protrúziója van, akkor arcesztétikai szempontból kívánatos a négy kisőrlőfog eltávolítása a harmonikus profil kialakításához. A foghúzásos esetek túlnyomó részében azonban szó sincs erről, így a frontfogak hátrébb kerülése a részárások során, általában a középarc beesését, azaz hosszú távon az arc korai öregedését vonja maga után. Nagyon fontos, hogy a fogszabályozás megtervezése és kivitelezése során az egész életen át tartó, és az arc öregedését figyelembe vevő, továbbá arcesztétikai szempontok által vezérelt legyen a kezelés. Az esztétikai igény a páciensek részéről ma már különösen előtérbe került, így a funkcionális rehabilitáció mellett ezért is kötelességünk mindent megtenni a tökéletes arcesztétikai eredményért.
A 15 éves fiú páciensemnél jelentős torlódás volt megfigyelhető a felső és az alsó frontfogak területén, dentális mélyharapással társulva, továbbá a szemfogak területén II. osztályú saggitális viszonnyal (1-5. képek)
A mosolyesztétika szempontjából sem a fogívek szélessége, sem a fogak és az íny láthatósága (vertikális display) nem volt ideális (6. kép)
A profilra tekintve nyugodtan kijelenthetjük, hogy a helyteremtésre a premoláris extrakciók arcesztétikailag katasztrofális következményre vezettek volna (7. kép)
Természetesen ez igaz a mosoly szélességre is, hiszen minden kihúzott foggal keskenyedik a fogív szélessége. Mivel a fogak anatómiai formája sem volt tökéletes (8. kép), a kezelés során esztétikai kontúrálást is végeztünk.
A Pitts21-es passzív önligírozó fix készülékes kezelés során a harapásemelőket a felső nagyőrlő fogakra ragasztottuk abból a célból, hogy az elasztikus gumihúzásokkal kombinálva lefelé billentsük a felső fogívet, és így növeljük a fo -
gak láthatóságát (vertikális display) mosolygáskor (9. kép)
A felső fogív tágítását a palatinális gombocskákon elhorgonyzott, ún. keresztharapásos class 3-as gumihúzásal segítettük a kezelés elején, amelynek segítségével az alsó frontfogak torlódásának korrigálását is támogattuk (9-10. képek)
A felső és az alsó metszőfogak számára a helyteremtést tolórugók segítségével végeztük (11-12. képek), majd ezután történt meg a bracket-ek felragasztása, majd a fogak fogívbe mozgatása (13. kép)
A kezelés későbbi részében a disztálharapás korrekciója class 2-es gumihúzással történt (14. kép)
Minden esetben a gumihordás a kezelés teljes hosszában folyamatos, éjjel-nappal, napi 22-24 órában, az étkezések és az utánuk történő fogmosás kivételével.
A fix fogszabályozó készülékes kezelés a végső finomításokkal 18 hónapig tartott. A „Pitts Korán Aktív - Active Early” kezelési filozófiának köszönhetően, a kezelés során felmerülő transzverzális, saggitális és vertikális részfeladatokat nem egymás után oldottuk meg, hanem egyszerre, a tér mindhárom dimenziójában, lágy és folyamatos erőkkel végeztük a fog- és az állcsontmozgatásokat.
A Pitts Protokollok alkalmazásával sikerült a kisőrlőfogak
húzása nélkül mind az esztétikai, mind a funkcionális célok megvalósítása (15-20. képek)
A nonextrakciós fogszabályozó terápia egyik legnagyobb problémája világszerte, a kezelés befejezésekor fennálló metszőfog protrúzió, amely jelentősen rontja a kezelés esztétikai eredményét mind a mosolyvonal, mind a vertikális display szempontjaiból. A Pitts elveknek megfelelően sikerült foghúzás nélkül beállítani az ideális esztétikai pozícióba a labiális felszíne a felső metszőfogakat, amely azt jelenti, hogy a felső középső metszőknek a labiális felszíne merőleges a Frankfurti Horizontálisra.
Páciensünk fogszabályozó kezelése után – mint minden esetben – a helyben tartás fix és kivehető retainer-ekkel történik, hiszen nagyon fontos, hogy a kezelés eredménye egész életre szóló legyen!
• Pitts Protocol Issue 1-11
• Pitts Protocol Clinical Article Issue
• Journal of Clinical Orthodontics Volume 51 Number 03: Bracket Positioning for Smile Arc Protection
A támasztócsapos regisztrálás egy reprodukálható, precíz, egyszerű és gyors harapásvételi módszer.
A támasztócsapos regisztrálás lényege, hogy a regisztráló lemezek egyikéből kiálló csap mozgása a másik lemezre rajzol, miközben a páciens állkapcsát erősen összezárt helyzetben a kezelő beavatkozása nélkül, annak utasítása szerint mozgatja.
Annak tisztázása érdekében, hogy a támasztócsapos regisztrálás milyen condylus-pozíciót eredményez, 25 kolléga ízületét axiográfiás vizsgálattal diagnosztizáltam, majd a résztvevők egymáson támasztócsapos regisztrálást végeztek. A regisztrálások eredményét összevetettük az axiográfiás vizsgálattal nyert diagnózissal.
Az axiográfia eredményéből a következőképpen vezetjük le a diagnózist:
Amennyiben a két piros körív közepéig (4 milliméter) a három mozgás (szájnyitás, protrúzió és mediotrúzió) egybeesik, akkor a condylus-discus egység megtartott, ellenkező esetben nem megtartott, azaz kompressziós az ízület. Az 1. ábrán a jobb oldali ízület (D) kompressziós.
A résztvevők egymáson a CondyLoc eszközzel támasztócsapos regisztrálást végeztek az alábbi utasítások szerint:
Az állkapcsot – erősen összeharapva – kicsit előremozgatni, majd vissza, ameddig megy; innen kicsit jobbra, majd vissza középre; kicsit előre, majd vissza, ameddig megy; innen kicsit balra, majd vissza középre. Mindezt háromszor megismételve. A regisztrálások eredményét összevetettük az axiográfiás vizsgálattal nyert diagnózissal.
Azt találtuk, hogy megtartott condylus-discus egység esetén az egészséges ízület oldalán egy vagy több protrúziós vonal látható, „szabályos” nyílhegy rajzolat nem regisztrálható.
Nem a nyílhegybe futó protrúziós vonal a porckorong iatrogén kiszorítására utal. A nyílhegytől balra megjelenő protrúziós vonal a bal oldali, míg a nyílhegytől jobbra a jobb oldali ízületi porckorong iatrogén kiszorításának a jele.
„Szabályos rajzolatot” csak akkor találtunk, amikor mindkét ízület eredendően kompressziós volt.
A condylusok a harapásban – a központi helyzetükhöz képest –feljebb, lejjebb, előrébb, hátrébb, jobbra vagy balra is állhatnak. A condylusok az ízületi árok legmélyebb és leghátsóbb pontjába (RKP) történő juttatása - elkerülendő. Ezért a mozgásokat a páciensnek, erős szorítással, a kezelő utasítása alapján magának kell végeznie a kezelő erőbehatása nélkül. A rágóizomzat kö-
zös eredője ugyanis előre, fölfelé mutat. Erősen összezárt fogak mellett semmi esetre sem fog a condylus hátrafelé mozogni.
A helyesen kivitelezett támasztócsapos regisztrálás a condylusok kétoldali, determinálható helyzetű kompresszióját eredményezi, függetlenül az ízület kezdeti állapotától. A kompresszió iránya az izmok eredő vektora.
...és ami mögötte van biztos megoldás a fogászati szakma elérésére
8. ábra: „Szabályos” rajzolatot találtunk annál a kollégánál, akinek mindkét ízülete eleve kompressziós volt.
9. ábra: Egy eleve kompressziós ízület a regisztrálás során kompressziós marad.
10. ábra: A támasztócsapos regisztrálás - a nyílhegy csúcsán - a condylusokat a centrális relációhoz (CR) képest szimmetrikusan kompressziós helyzetbe kényszeríti. A kompresszió iránya az izmok eredő vektora.
• ENGELHARDT JP: [Die intraorale Registrierung der zentralen Relation beim zahnlosen Kiefer in Verbindung mit der geschlossenen Mundabformung SR- Ivotray- Methode] ZWR, 79. Jg., Nr. 5: 191 – 197 (1970)
• FEHÉR, T: Kompressziós állkapocsízület; Dental Tribune XVII. évfolyam 1. szám
• FREESMEYER W, KÖRBER E, PIELSTICKER W: [Die Stützstiftregistrierung] Dental Labor, Heft 6: 753 – 759 (1987)
• GERBER, A.: Erfolg, Prävention und Misserfolg in der Totalprothetik. St.-Moritz-Kurs 1974
• JÜDE HD, JAKSTAT H, VOGEL A, GENIESER A: [Über den Einfluss der Kieferschließkraft auf das Ergebnis der Stützstiftregistrierung in der Sagittalen] Dtsch Zahnärztl Z 45, 561 – 563 (1990)
• JÜDE HD, JAKSTAT H, VOGEL A, GENIESER A: [Das Ergebnis der Stützstiftregistrierung in Abhängigkeit von Kraft und veränderter Stiftposition in der Transversalen] Deutsche Stomatologie 41: 273 – 275 (1991)
• KOLLER M, LUDWIG J, VOSS R: Streubereiche von Handbissnahme und Stützstiftregistrierung Dtsch Zahnärztl Z 38: 40 – 43 (1983)
• KÜHL W: [Untersuchungen über die Intraorale Pfeilwinkeltechnik in der To- talprothetik] DZZ 23, Heft 4: 522 – 523 (1968)
• LINSEN S, WEISBACH M, GRÜNER M, KOECK B: [Über den Einfluss der Kieferschließkraft und der Verschiebung des Stützstiftes in der Transversalen auf die intraorale Stützstiftregistrierung] Dtsch Zahnärztl Z 61: 286 – 290 (2006)
11. ábra: Különböző condylus-helyzetek.
Felső rajz: A condylusok központi helyzete CR.
Középső rajz: A helyesen kivitelezett támasztócsapos regisztrálás általi condylus-pozíció.
Alsó rajz: Az ízületi árok legmélyebb és leghátsóbb pontjába (RKP) nyomódott condylus.
• MARXKORS R: [Vergleich zwischen der intraoralen Registration nach Mc rane un er „strech- ref e “ Methode nach Jankelson] Dtsch Zahnärztl Z 25, 231 (1970)
• SCHRÖDER D: [Untersuchungen zur Differenz zwischen Handbissnahme und Stützstiftregistrierung bei der Relationsbestimmung am Zahnlosen] Dtsch Zahnärztl Z 31: 725 – 729 (1976)
• UTZ KH, BERNHARD N, WEGMANN U, HUNTEBRINKER W: [Reproduzierbarkeit der Pfeilwinkelregistrierung bei der Remontage von Totalprothesen] Schweiz Monatsschr Zahnmed 101: 438 – 444 (1991)
• UTZ KH, MÜLLER F, BERNHARD N, HÜLTENSCHMIDT R, KURBEL R: [Handbissnahme oder Stützstiftregistrierung zur Einstellung der maximalen Interkuspidation bei Totalprothesenträgern] Zahnärztl Welt 102: 780 – 791 (1993)
• UTZ KH, MÜLLER F, BERNHARD F, HÜLTENSCHMIDT R, KURBEL R: [Handbissnahme oder Stützstiftregistrierung zur Einstellung der maximalen Interkuspidation] ZWR 102, Nr.11: 780 – 791 (1993)
• VOGEL A, JAKSTAT H, JÜDE HD: [Experimentelle Untersuchungen zum Einfluss der Registrierkraft auf das Ergebnis der Stützstiftregistrierung] Dtsch Stomatol 40: 363 – 365 (1990)
• WEBER NA: [Untersuchung zur Präzision des intraoralen Stützstiftregistrats bei der Ermittlung der zentrischen Kieferrelation verglichen mit der maximalen Interkuspidationsposition funktionsgesunder Probanden] Med. Diss. (2006)
▶ Egyfázisútechnika
▶ Azonnaliterhelésesprotokoll
▶ Egyedülállóprimerstabilitás
▶ Azegyetlentökéletesimplantátum-felépítmény „kapcsolat”–nincsmikromozgás
▶ Polírozottfelszín–nincstöbbéperiimplantitis
▶ Csontpótlásmentes,apáciensszámáraisigazán egyszerű,gyors, költséghatékonyimplantológia*
*Aköltséghatékonyság aztfejeziki,hogyazonoshatásosság(eredményesség)milyenköltséggel(ráfordítással) érhetőel.Aleginkábbköltséghatékonyazazeljárás,technológia,amelyikalegkisebbráfordítássalalegnagyobb eredménytériel.Azaz egészségügyitechnológia tekinthetőköltséghatékonynak,amelyazakárszűkösenrendelkezésreállóerőforrásokbólalehetőlegtöbb egészség-nyereséget termeli,illetveaztalegkisebberőforrás felhasználássalállítjaaztelő. (Azegészségügyifogalomtáralapján.)
Az everX Flow felhasználási területe határtalan,
benyomása az, hogy az anyag segítségével
restaurátumok határát, indikációs lehetőségeit
határtalan, és a szerzők személyes kutatási és klinikusi
képesek leszünk lényegesen kitolni a direkt
az indirekt restaurátumok „felségterületére”.
A gyökérkezelt fogak megerősítése, a restaurátum-fog komplexum sikerességének és túlélésének növelése a mai napig központi kérdéskör mind a restauratív fogászatban, mind az endodonciában. Ez utóbbinak az oka abban keresendő, hogy az endodonciai kezelés nem tekinthető teljesen befejezettnek, amíg a fog végleges koronai restaurátummal nincs ellátva. Sőt, vizsgálatok arról számolnak be, hogy azon fogak, amelyek a gyökértömést követő 4-6 hónapon belül lettek véglegesen restaurálva, nagyobb sikerességet mutatnak, mint amelyek ennél csak hosszabb idő elteltével (1).
A gyökérkezelt fogak gyengüléséhez számos tényező hozzájárul, többek között: trepanálás és hozzáférési nyílás kialakítása, a dentin dehidratációja, a dentin struktúrájának átalakulása, az átöblítő-szerek erodáló hatása, az esetlegesen használt kálcium-hidroxid lágyító hatása stb. (2). A fenti okok miatt a gyökérkezelt fogak gyakrabban szenvednek el fatális kimenetelű töréseket, mint a hasonló kavitással rendelkező, de vitális fogak. Jelen tudásunk szerint ez idáig a legfontosabb gyengítő tényező a caries vagy korábbi trauma miatt kialakult koronai keményszövet veszteség, amelyet a terápiánkhoz szorosan kapcsolódó trepanálási folyamat tovább súlyosbít. Így kiemelten fontos, hogy a gyökérkezelt fogakba készülő restaurátumnak nem csak a hiányzó fogstruktúrát kell esztétikailag és funkcionálisan helyreállítani, hanem a meggyengült fogat is meg kell erősíteni, mintegy egységet alkotva a megmaradt zománccal és dentinnel. A gyökérkezelt fogak restaurálására bevett módszer volt a fogak „belső sínezése”, csapok segítségével. Ez a mai, modern esztétikai fogászati érában üvegszálas csapok segítségével történik. Ugyanakkor mind a vizsgálatok, mind saját klinikai tapasztalatunk, eddigi kudarcaink rávilágítottak arra, hogy az üvegszálas csappal való helyreállítás nem nyújt mindig ideális és időálló eredményt, valamint nem minden típusú fog esetén segít (2). A csapozás létjogosultságának eldöntésekor nem elegendő pusztán a megmaradt koronai fogmennyiséget vizsgálni, hanem figyelembe kell venni, hogy mely régióban helyezkedik el a fog, mekkora, és milyen irányú erők lépnek fel itt elsődlegesen, valamint a páciensnél várható-e extrém nagyságú erőbehatás (bruxálás, szorítás, parafunkciók stb.). Ha mindezeket figyelembe vettük, és az üvegszálas csap behelyezése mellett döntöttünk, akkor a következő problémákkal kell szembenéznünk:
1. A csap nem az eredeti állapotot állítja helyre biomechanikai szempontból, ugyanis a gyökércsatornában a fog tengelyében (ahol a csap lesz) nem lép fel terhelés ép fog esetén, helyette a gyökércsatorna falain jön létre és összpontosul a terhelés.
2. Az ovális, nem körszimmetrikus gyökércsatornában a csap nem fog megfelelően illeszkedni, vagy csak apikálisan (1. kép).
3. A kritikus cervikális területen, ahol a legtöbb stressz lép fel, a csap-ragasztócement arány nem ideális (a cement dominál), (1. kép)
4. A nagy mennyiségű ragasztócement könnyen tartalmazhat buborékokat, melyek később a cement megrepedését okozhatják.
5. A hagyományos üvegszálas csap nem köt össze megbízhatóan a ragasztó és/vagy csonkfelépítő anyagokkal, amely könnyen vezethet a csap megmozdulásához.
Ezek a tényezők tetten érhetőek a klinikai gyakorlatban, ugyanis az üvegszálas csapok sikertelenségének leggyakoribb formája a csap elválása a ragasztótól, továbbá a megmozdulása, vesztése.
Már régóta megfogalmazódott az igény a klinikusok részéről, hogy az üvegszálas csapokat is valahogy individualizálni kellene annak érdekében, hogy jobban illeszkedjenek, és lehetőleg precízebben töltsék ki a gyökércsatornát. Ez a kívánt megerősítés elérése érdekében fontos, ugyanis így lehetőség nyílna a mechanikailag gyengébb elem, a ragasztó mennyiségének csökkentésére, az üvegszálak javára. Ennek legegyszerűbb és legkezdetlegesebb módja a
üvegszálas csap alkalmazása, bár ez nemigen minősül valós individualizálásnak. Egy másik megoldás lehet az felületkezelésen átesett üvegszálas csap individualizálása kompozittal egy glicerinnel bevont gyökércsatornában (FRC post relining method), bár itt a fő probléma, hogy a kompozit (metakrilát rezin) és a hagyományos üvegszálas csap (epoxi rezin) között szinte lehetetlen stabil kapcsolatot kialakítani. Az elasztikus üvegszálas csapok (everSTICK POST, GC) megjelenésével lehetőségünk nyílt arra, hogy chairside, több elasztikus üvegszálas csap alkalmazásával készítsünk egy részben vagy egészben individualizált üvegszálas csapot (2. kép) (3)
A technika két fő limitációja, hogy egyrészt helyigénye van, azaz csak igen destruált koronai állomány esetén lehet korrekt módon elkészíteni, valamint főleg kónikusabb gyökércsatornákban alkalmazható, de a teljesen irreguláris anatómiával nem igazán tud mit kezdeni. Az eddig felsorolt technikák közös hátránya, hogy mindnél szükség van ragasztócement alkalmazására, azaz az üvegszálak nincsenek közvetlen kapcsolatban a gyökércsatorna falával, így nem képesek stressztörő rétegként funkcionálni.
Az eddig felsorolt, az üvegszálas csapozási módszerek során tapasztalt problémák megoldására született meg a Bioblock technika. Jelen módszer során a hagyományosan üvegszálas csappal és ragasztó cementtel kitöltött gyökércsatorna szakaszt rövid üvegszálas kompozittal (everX Posterior, GC) töltjük fel. Ezt követően a koronai kavitás hiányzó dentinje is pótlásra kerül az említett anyagból, így egy individualizált rövid üvegszálas direkt csapot és csonkfelépítést alkotva (34. kép).
A Bioblock technika megszünteti a hagyományos „csapozási” folyamat hátrányait, gyenge pontjait, az alábbiak szerint:
1. - az üvegszálak kitöltik a rendelkezésre álló teljes teret, így maximalizált az üvegszálak mennyisége a kritikus cervikális területen is, 2. - nincs szükség ragasztó cementre, így az üvegszálak közvetlen a gyökércsatorna falára adaptálhatók, ahol az érdemi stressz generálódik terheléskor, 3. - csökken a felhasznált anyagok és ezzel a ragasztási felületek száma, ami csökkenti a restaurátumon belül fellépő stresszt. Mivel a használt rövid üvegszálas kompozit 4-5 mm mélységig biztonsággal átvilágítható (4,5), így a teljes Bioblock technika 3 horizontálisan applikált rétegből épül fel. Mélységét tekintve az üvegszálak többnyire 6 mm mélységig kerülnek a gyökércsatornába, a csatorna bemenetéhez képest. A lépések a következők:
• a guttapercha visszafúrása 6-7 mm mélységig 3-as vagy 4-es méretű Gates Glidden fúróval vagy azonos méretű csapelőfúróval;
• koronai kavitás átérdesítése;
• zománc savazása 30-45 s-ig, majd lemosása;
• gyökércsatorna tisztítása klórhexidinnel, majd szárítása (az adhezív rendszernek megfelelő mértékig);
• duál-kötésű adhezív alkalmazása mind a gyökércsatornában, mind a koronai kavitásban, az adhezív réteg elvékonyítása, majd fotopolimerizáció (5. kép);
• rövid üvegszálas kompozit applikálása a számára kialakított gyökércsatorna szakasz apikális részébe (6. kép);
• fotopolimerizálás 2-3 s-ig, majd fotopolimerizálás egy rövidebb hosszúságú hagyományos üvegszálas csapon keresztül 1,5 percig! (7. kép);
• világításra használt csap eltávolítása és 2. réteg rövid üvegszálas anyag applikálása, fotopolimerizálás (20-40 s-ig);
• 3. réteg applikálása, fotopolimerizálás (8. kép);
• végleges tömés elkészítése vagy preparálás indirekt restaurátumhoz.
A technika gyakorlati szempontból fontos lépése az anyag megfelelő „kondenzálása”, tömörítése a gyökércsatorna api-
kális részébe, melyre javasolt egy vékony száraz bondecset, egy parodontális szonda és/vagy egy endodonciai plugger alkalmazása. A másik fontos lépés az apikális réteg megfelelő polimerizálása. Vizsgálataink arról számolnak be, hogy az itt felsorolt lépésekben elvégzett fotopolimerizáció (üvegszálas csapon keresztül) megfelelő keménységet és konverziót biztosít a rövid üvegszálas kompozit számára (6-8). Ennek oka részben abban keresendő, hogy a használt rövid üvegszálas kompozit transzparens, így átengedi és szórja is a fényt, valamint a fényvezetőként használt hagyományos üvegszálas csap képes lejuttatni elegendő fényt a kritikus apikális régióba (9).
A Bioblock technika használható olyan esetekben is, amikor valamilyen oknál fogva a csapozás nem célravezető (apexifikált fogak, ahol a trepanációs nyílás akár kisebb is lehet, mint
a gyökércsatorna átmérője) és/vagy a gyökércsatorna belső irregularitása jelentős (belső reszorpció) (7,10).
A Bioblock technika eddig ismert egyetlen limitje, hogy a paszta állagú rövid üvegszálas kompozit (everX Posterior) kondenzálásának hatékonysága nehezen ellenőrizhető a gyökércsatorna apikális részén, és könnyen maradhatnak alatta, vagy a rétegek között levegőzárványok. Ezek feltételezhetően a későbbiekben gyenge pontként szerepelhetnek a restaurátumban. Az említett légzárványok jelentősebbek lehetnek a koronai csonkfelépítésben (9. kép)
Erre is szolgálhat megoldásként az új, folyékony rövid üvegszálas kompozit (EverX Flow bulk shade, GC), melyet kedvező viszkozitása által célzottan lehet eljuttatni egy kavitás bármely területére, és csak ezt követően mutat (klinikusként pont ideálisnak mondható) folyást, enyhe szétterülést. Az everX Flow sokban hasonlatos a paszta típusú everX Posterior-hoz, például ugyanúgy 5 mm mélységig biztonsággal átvilágítható. Bár a flow lényegesen kisebb üvegszálas rostokat tartalmaz, mint az „elődje”, az everX Posterior, ugyanakkor lényegesen nagyobb mennyiségben tartalmazza azokat (11). Ennek köszönhetően az everX Flow, meglepő módon, nagyobb töréssel szembeni ellenállást és stressztörést hoz létre, mint a korábbi, paszta típusú rövid üvegszálas anyag (11). Mivel eredetileg az everX Flow-t részben a „szűk helyek” restaurálására fejlesztették ki, így kézenfekvő volt, hogy a Bioblock technikába is beépüljön. A szerzők által végzett számos vizsgálat arról számol be, hogy az EverX Flow-val végzett Bioblock technika ígéretesebbnek bizonyult mind mechanikai szempontból, mind az anyagon belüli résképződés/gyökércsatornán belül visszamaradt légzárványok szempontjából, mint a paszta típusú anyag (7,8).
Jelenleg vizsgálatok folynak arra, hogy az EverX Flow ragasztóként is használható hosszú, hagyományos vagy elasztikus üvegszálas csapok ragasztására, mely az eddigi eredmények szerint sokkal erősebb megoldást teremt, mint a sokak által használt, hagyományos üvegszálas csapozási technikák (8).
1. Bhuva B, Giovarruscio M, Rahim N, Bitter K, Mannocci F. The restoration of root filled teeth: a review of the clinical literature. Int Endod J. 2021 Apr; 54(4):509-535.
2. Zarow M, Ramírez-Sebastià A, Paolone G, de Ribot Porta J, Mora J, Espona J, Durán-Sindreu F, Roig M. A new classification system for the restoration of root filled teeth. Int Endod J. 2018 Mar; 51(3):318-334.
3. Fráter M, Forster A, Jantyik Á, Braunitzer G, Nagy K, Grandini S. In vitro fracture resistance of premolar teeth restored with fibre-reinforced composite posts using a single or a multi-post technique. Aust Endod J. 2017 Apr; 43 (1):16-22.
4. Lempel E, Őri Z, Kincses D, Lovász BV, Kunsági-Máté S, Szalma J. Degree of conversion and in vitro temperature rise of pulp chamber during polymerization of flowable and sculptable conventional, bulk-fill and short-fibre reinforced resin composites. Dent Mater. 2021 Jun; 37 (6):983-997.
5. Lempel E, Őri Z, Szalma J, Lovász BV, Kiss A, Tóth Á, Kunsági-Máté S. Effect of exposure time and pre-heating on the conversion degree of conventional, bulk-fill, fiber reinforced and polyacid-modified resin composites. Dent Mater. 2019 Feb; 35(2):217-228.
De ez csak egyetlen példa. Az everX Flow felhasználási területe határtalan, és a szerzők személyes kutatási és klinikusi benyomása az, hogy az anyag segítségével képesek leszünk lényegesen kitolni a direkt restaurátumok határát, indikációs lehetőségeit az indirekt restaurátumok „felségterületére”.
6. Fráter M, Lassila L, Braunitzer G, Vallittu PK, Garoushi S. Fracture resistance and marginal gap formation of post-core restorations: influence of different fiber-reinforced composites. Clin Oral Investig. 2020 Jan; 24 (1):265-276. doi: 10.1007/s00784019-02902-3. Epub 2019 May 16. Erratum in: Clin Oral Investig. 2021 May; 25 (5):3339-3340.
7. Fráter M, Sáry T, Néma V, Braunitzer G, Vallittu P, Lassila L, Garoushi S. Fatigue failure load of immature anterior teeth: influence of different fiber post-core systems. Odontology. 2021 Jan; 109 (1):222-230.
8. Fráter M, Sáry T, Jókai B, Braunitzer G, Säilynoja E, Vallittu PK, Lassila L, Garoushi S. Fatigue behavior of endodontically treated premolars restored with different fiber-reinforced designs. Dent Mater. 2021 Mar; 37(3):391-402.
9. Bell-Rönnlöf AL, Jaatinen J, Lassila L, Närhi T, Vallittu P. Transmission of light through fiber-reinforced composite posts. Dent Mater J. 2019 Dec 1; 38 (6):928-933.
10. Fráter M, Sáry T, Garoushi S. Bioblock technique to treat severe internal resorption with subsequent periapical pathology: a case report. Restor Dent Endod. 2020 Aug 18; 45 (4):e43.
11. Lassila L, Keulemans F, Säilynoja E, Vallittu PK, Garoushi S. Mechanical properties and fracture behavior of flowable fiber reinforced composite restorations. Dent Mater. 2018 Apr;34(4):598606.
Loupes and lights
1135 Budapest, Frangepán u. 66/B. +36 1 236 4000 | info@newyorkdental.hu www.newyorkdental.hu
opron,
Fogászati kereskedelem
• AMPRI: színes e.h. eszközök;
• Anger: matricák, ideiglenes koronák, fényvezetô ék;
• ASA: mûszerek, egyszer használatos eszközök;
• BISCO: cementek, bondok, kerámiajavító;
• FKG: endodonciai eszközök;
• DTS: színes mûanyag lenyomatkanalak;
• NEOLIX: gépi gyökérkezelô tûk;
• OLIDENT: tömôanyagok, sav, bond;
• ORO CLEAN: fertôtlenítôszerek;
• PROMEDICA: cementek, tömôanyagok, alábélelôk;
• SCORPION: scaler végzôdések, implant tisztításhoz is;
• SHOFU: cementek, tömôanyagok, csiszolók;
• SS White: koronafelvágó, karbid- és gyémántfúrók;
• TIDI: védômaszkok;
• WHITEWASH: fogkrém, fogkefe;
• ZHERMACK: A- és C-szilikon, alginát lenyomatanyagok.
Közvetlenül az importôrtôl:
HERBODENT Kft.
) 1025 Bp., Szépvölgyi út 52. % 325-7129
%/fax 325-7220, mobil: 30/203-6957, 30/241-5737 e-mail: herbodent@herbodent.hu, www.herbodent.hu