e-Journal - Dental Hírek 2024/1

Page 1

E-JOURNAL DENTAL HÍREK

A

FOGÁSZAT INFORMÁCIÓS MAGAZINJA

„Fontosnak tartom, hogy a gyógyító embernek legyen szakmai és erkölcsi-etikai értékrendje…”

Gondolatok az okklúzióról a Smylist Módszer fényében

Komplex fogazati rehabilitáció

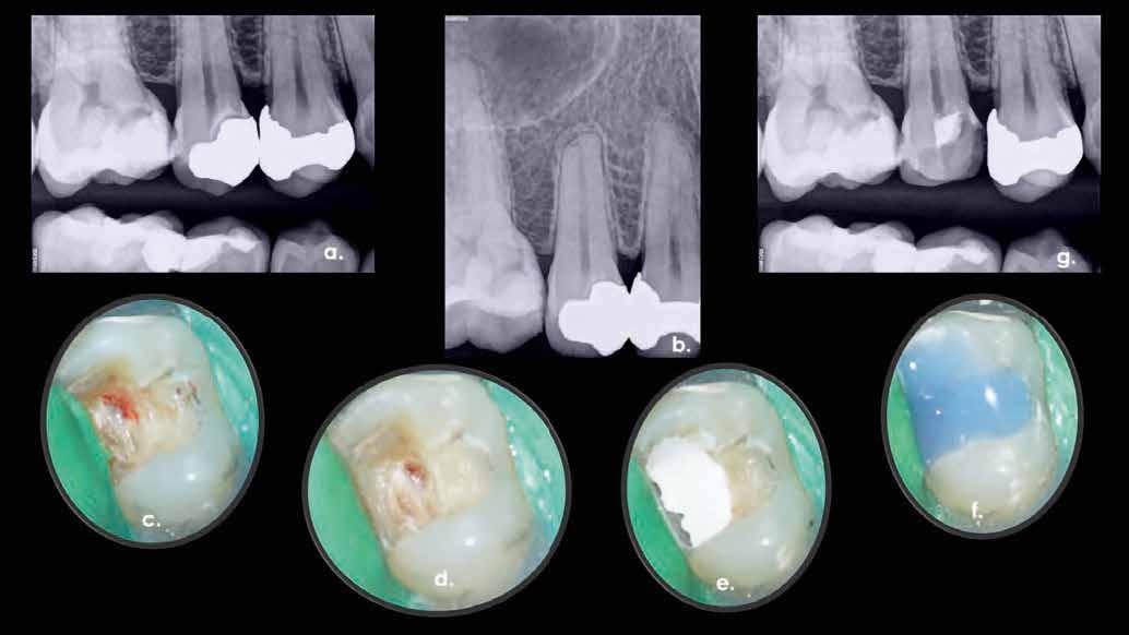
A kalcium-szilikát alapú anyagok endodonciai célú felhasználásának lehetőségei

VII. évfolyam 3. szám
2024.
www.dental.hu
alphaimplant.hu A minőség a siker garanciája AZ ALPHA IMPLANT KFT. MÁR 15 ÉVE AZ ÖN MEGBÍZHATÓ PARTNERE ‘24/09 12-14. 09/12-14. REGISZTRÁCIÓ

Tisztelt

Olvasó!

2024-re a fogászati szektor – reményeink szerint – fel tudta dolgozni a Covid-19 okozta nehézségeket, az elszabaduló inflációt, és már tervezi az idei év fejlődési lehetőségeit. Mindannyian abban bízunk, hogy megérkeznek az európai uniós források, újra indulnak a pályázatok, és stabilan tudjuk vezetni a vállalkozásinkat!

A tavalyi év sokunk életében hozott különböző nehézségeket, mégis elmondhatjuk, hogy mindenképp jobb volt, mind a 2020-2022 közötti időszak, amikor a létbizonytalanság, a járványtól való félelem uralta a napjainkat. Az idegenforgalom tavaly szépen megindult, 2024-ben a vendégéjszakák száma várhatólag el éri a 2019-es év adatait. A nagy rendelők már teljes kapacitással üzemelnek, a fogtechnikai laborokban is visszatért a folyamatosság, a fogászati kereskedők jelentős része pedig jobb évet zárt 2023-ban, mint a korábbi években.

A fogászati rendelők és fogtechnikai laborok az elmúlt években főleg a fejlesztéseket állították előtérbe, amelyhez számos pályázat és egyéb forrás is kedvező konstrukciókat kínált. 2024-ban – tudomásunk szerint – is lesznek új pályázati források, melyekről a kereskedelmi vállalatok részletesebb információkat tudnak majd adni. Az új források bevezetése idén már bizonyosan ismét növekedési spirálba helyezi majd ezt a szektort!

Az infláció elérte a fogászati ágazatot is, a vállalkozások az euro változásától, gyengülésétől függően azzal találkoznak, hogy az árak – a mindennapi élet mellett – itt is jelentősen és folyamatos változnak, emelkednek. A fogászati rendelők is kénytelenek az áraikat emelni, egyre több rendelő, ún. „piaci alapú” árképzést vezet be. A folyamat kimenetelét még nem lehet pontosan látni, a munkaerő fluktuációja, az Európai Unió áraihoz képest alacsony magyar fogászati beavatkozások értéke - jelenleg még nem érte el a drágulás csúcspontját. Az elmúlt időszakban számos újság, cikk foglalkozott a fogászati szektorban található extra drágulási folyamattal. Ez egyelőre - a hazai rendelőkben - még nem mutatott jelentős problémát, új hívószavakkal, sok marketing munkával, reklámmal most a magyar lakosságot kell határozottabban a rendelőkbe invitálni!

A kiadó bizakodva tekint a jövőbe, a megújult tartalmaink kapcsán sok pozitív visszajelzést kapunk,

melyeket nagyon köszönünk! Az elmúlt években - a nehézségek ellenére is - növelni tudtuk a kiadványaink, a magazinjaink számát, nem csökkentve azok tartalmi minőségét. 2020 óta a tematikus e-Journalok is folyamatosan megjelennek, melyek egyfajta online könyvtárként is szolgálnak az olvasóinknak. A dental.hu oldalon díjmentesen elérhetőek a korábbi tematikus online lapszámaink is.

A mostani kiadványunkban az általános fogorvosi eljárások témakörével foglalkozunk.

Tartalmas olvasást kívánok!

Laczkó Tamás, felelős kiadó

3 VII. ÉVFOLYAM – 2024. 3. SZÁM

E-Journal VII. évfolyam, 2024. 3. szám

Kiadja: DP Hungary Kft.

1012 Budapest, Kuny Domokos u. 9.

Felelős kiadó: Laczkó Tamás

Főszerkesztő: Dr. Riba Magdolna

Előkészítés:

DP Hungary Kft., Sárközi András e-mail: grafika@dental.hu

Információ, hirdetésfelvétel: Bárdos Veronika, telefon: 06-30-472-0030, 06-1-793-1874

Az újság e-mail címe: info@dental.hu

Az újság internetcíme: www.dental.hu

Terjesztés: E-mail hírlevél formájában.

A tudományos közleményeket a szerkesztőség lektoroknak adja át véleményezésre. Közlés csak egyetértő lektori vélemény, illetve a javasolt módosítások elvégzését követően lehetséges.

A cikkek szerzői vállalják, hogy az általuk elküldött írás saját forrásból származik, illetve a felhasznált anyagokat (publikációkat, illusztrációkat, képeket stb.) mindenkor pontosan feltüntetik. Írásaiknak jogi és egyéb adatvédelmi kérdéseiben felelősséget vállalnak.

A német nyelvű szakmai cikkeink magyar fordítását az Oemus Media AG Kiadó engedélyével szerkesztettük lapunkba. A fel nem használt kéziratokat, fotókat nem őrizzük meg, és nem küldjük vissza.

A hirdetések tartalmáért nem vállalunk felelősséget. A gyártó, illetve forgalmazó cégek kérésére közzétett cikkeket keretbe foglalva közöljük és (x)-szel jelöljük, azok szakmai tartalmáért a szerkesztőbizottság nem vállal felelősséget.

„Fontosnak tartom, hogy a gyógyító embernek legyen szakmai és erkölcsi-etikai értékrendje…” 8 Felnőttkori class 2-es eltérés kezelése Pitts protokollokkal 14 Gondolatok az okklúzióról a Smylist Módszer fényében 18 A magyarországi fogorvoslást érintő és befolyásoló adatok változásának tendenciái 26 Komplex fogazati rehabilitáció 32 A természetes fogazat funkciójának és esztétikájának helyreállítása héjak segítségével 44 Célzott endodonciai mikrosebészet 50 A kalcium-szilikát alapú anyagok endodonciai célú felhasználásának lehetőségei 56 Rendelője eszközei a betegek gyógyulását, az Admetec ergo lupe az ön egészségét szolgálja! 63 A fogászat egyetemi oktatásának kezdetei a Magyar Királyságban 64 Erős fogak és egészséges száj – meggyőző mosoly 70
4 Tartalom DENTAL HÍREK

2023-as éves, mind az öt magazinunkra történő előfizetés esetén választhat fogászati szakkönyveink közül egyet ajándékba

bankkártyás fizetés esetén Szakkönyvek ajándékba!

Nyomtatott magazinok 2023 / IV.ÉVFOLYAM–ÁR:2500FT ADENTALPRESSTEMATIKUSKIADVÁNYA DIGITÁLIS ESETISMERTETÉS ESETISMERTETÉS Komplex esetek multidiszciplináris megközelítéssel SZAT fogászat iránt érdeklődő kollégák tájékoztatása a legújabb eredményekről…” Vezérelt implantológia teljes házon belüli digitális folyamattal történő ellátása „A digitális tudomány legmagasabb szintjének Magyarországra történő irányításában sok lehetőséget látok…” Katona József hogy túl nagy változások nem vár-demi fejleményt azonban már tárca (EMMI) felszámolásával azniszter portfóliójába került. Ezzel megszűnhetett az az áldatlan állapot az orvoskamara kifejezésével élve: „irányítási-igazodási válság” –, amiben az egészségügy járvány eleje óta őrlődött két tárca között. Igaz, sokan csalódtak, hogy az új kormányban sem lesz egészségügyi minisztérium. Őket friss ágazati egyik első megszólalásakor azzal vigasztalta, hogy az egészségügy érdekérvényesítő képességét nem az önálló minisztérium erősíti, hanem a miniszter személye.bilitás érzetét erősítheti, mivel őt „igen közelről”, az Országos Kórházi Főigazgatóság (OKFŐ) főigazgató-helyettesi székéből vette magakozásakor pedig azt hangsúlyozta: egészségügyben. Az első nagy léciklusban, most finomhangolásjövő szereposztásáról is: stratégioperatív végrehajtás az országos utóbbi poszton Jenei Zoltánnal indul óta tölti be hivatalt. Bemutatkozásakor azt jelezte az államtitkár: nyár közepéig elkészítik „stratégiai anyagaikat”, csak olyan megoldási javaslat kerülhet kormány elé, amit támogatnak szakmai szervezetek is. Így minden érdekelt reményekkel telve indulhatott nyaralni, bízva abban: számára is gyümölcsözően alakul majd az ágazat sorsa. A Magyar Orvosi Kamara (MOK) azonban semmit sem bízott a véletlenre. Amint felállt a kormány, egy 8 oldalas levélben részletezték belügyminiszter számára, hogy miben problémáit. Látleletükben egyebekutak szétzilálódtak, várakozási idők ellátások közel elérhetetlenné váltak,berhiány. Összességében úgy látják, hosszú, sem rövid távon nem tartszorgalmazták ajánlották hozzá a helyzet javítására egy, a 2011-es részletességű programot alkossanak. Az ellátási problémák nagyságának érzékeltetésére Kiss Zsolt Nemzeti Egészségbiztosítási Alapkezelő (NEAK) főigazgatója szolgált egészen meghökkentő adatokkal június elején. E szerint idén, az első negyedévben a kórházak közel negyedével, szakrendelők ötödével kevesebb beteget láttak el, mint a járvány előtti utolsó év megfelelő időszakában. A krónikus osztályok teljesítménye pedig korábbinak Mindez arra utal, hogy sok páciens be sem jut az ellátórendszerbe, kórházszövetség kongresszusának ma 19-31 százalékkal kapnak több indokolna. 3. oldal TUDOMÁNY ÉS KUTATÁS A fogászati implantológiát évtizedeken elérése vezérelte. kifejezés létrejöttét P. Branemarktól eredeztetik, aki elsőként írta le vitális csontszövet és vele kapcsolatba kerülő titániumból készült eszközök között megfigyelhető... GYAKORLÓ FOGORVOS AJÁNLJA Egy fogpótlás készítéséhez a fogorvos felpuhított viaszba haraptatja pácienst. harapás alapján készített fogpótlás nem csak fogak, a fogpótlás... IRÁNYVONALAK, ALKALMAZÁSOK A Cerec Accept programjának erőteljes szegmense status quo megvitatása. Mindannyian átéltük már, mindannyian éreztük már otthonosan magunkat benne. Velünk nyaralt a remény Új tanulmány szerint a nanorészecskék használata hatékonyabb módszer lehet a fogfehérítésre Anisha Hall Hoppe, Dental Tribune International A dél-koreai Sungkyunkwan Egyebizonyos típusú nanorészecskék lehetnek következő élenjáró megazért nem bíztak bennük, mert azkéről bebizonyosodott, hogy nem a fogfehérítést, és emellett antiremineralizációs tulajdonságokkalben alkalmazzák fogászatban, beleértve fogpótlást, helyreállító fogászatot és parodontológiát. A jelenleg klinikailag használt fogfehérítő szerek, mint például karbamid-peroxid és a hidrogén-peroxid, szabad gyökök keletkezése miatt potenciálisan kóros károsodást okozhatnak. Az áttekintés azt sugallja, hogy a nanorészecskék nemcsak akkor hasznosak, ha fehérítő termékekhez abrázió céljából adják őket, hanem fehérítőszerként alkalmazva még jobban működhetnek, mint meglévő termékek, mivel képesek elősegíteni remineralizációt, oxigénfajokat szabadítanak fel. A keletkező reaktív oxigénfajok oxid és az arany nanorészecskék nanorészecskék viszont hidroxiláttekintés beszámolt szerint hidrogén-perhatást fejtet ki, amikor arany nanorészecskéket használtak, valamint egy másik vizsgálatról, amely kimutatta, hogy az aranylata nem okozott biológiai problémákat vizsgált állatokban. A felülvizsgálat szerzői szerint szükség annak ellenőrzésére, hogy ezek nanorészecskék potenciálisan jelenthetnek-e toxicitási kockáA hosszú hullámhosszú fénnyel amelyről beszámoltak, azt sugallsza szén kompozitja jobb fehérítésiláltak nyilvánvaló toxicitást. Egy hanm-es diódalézerrel aktiválva egy amely titán-dioxid nanorészecskéket tartalmazott, ugyanolyan mértékű fehérítést biztosított, mint egy 35%-os hidrogén-peroxid-oldat. A csoport beszámolt hidroxiapatittal kapcsolatos kutatásról is, amelyről ismert, hogy fogak szilárdságát növeli azáltal, hogy apatitot ad demineralizált zománchoz. Az egyik tanulmány megállapította, hogy hidroxiapatit nanorészecskék fogkrém formájában javították fogak színét, egy másik pedig azt jelezte, hogy a hidroxiapatit nanorészecskéket tartalmazótonságosak. A tanulmány, amelynek címe: „Nanowhitening agents: Progress and perjúnius 15-i számában jelent meg, Forr s: www.dental-tribune.com Kép: Shutterstock/MarcinK3333 B 2022. - XViii é 3. szám The World‘s Dental Newspaper 2023 / XXVII. ÉVFOLYAM – 3. SZÁM A FOGÁSZAT INFORMÁCIÓS MAGAZINJA DENTAL HÍREK ÁRA: ÚJ GENERÁCIÓ „Annyit szeretnék elérni, hogy lehetőségeimhez képest minden esetből kihozzam a maximumot…” PORTRÉ „Fontosnak tartom, hogy a gyógyító embernek legyen szakmai és erkölcsietikai értékrendje…” MED. DENT Modernizáció a mindennapi anyagtanban MED. DENT Innováció az endodonciában –Tippek és trükkök a SWEEPS technológia alkalmazásához O C H N 2023 / XX. ÉVFOLYAM – 3. SZÁM FOGTECHNIKA FOGTECHNIKUSOK SZAKMAI LAPJA ÁRA: 2500 FT A játszva tanulás ígérete – fémlemez készítése A fogtechnika generációkon átívelő tapasztalatával a XXI. századba CÍMLAPSZTORI Esztétikus harmónia az IPS e.max ZirCAD Prime segítségével LABORATÓRIUM Bemutatkozik a Dentendre fogtechnikai laboratórium LABORBEMUTATÓ LABORATÓRIUM Turnstr. 31 75228 Ispringen Germany Phone + -www.dentaurum.com info@dentaurum.com More information v myfirst ceramic inpaste Realisation and Photo: Christian Ferrari HU_2003_cM_One_Touch-No_Limits_Pink.indd 2023 / XX. ÉVFOLYAM – 2. SZÁM A DP HUNGARY TEMATIKUS KIADVÁNYA ÁRA: 2500 FT IMPLANTOLÓGIA INTERJÚ INTERJÚ INTERJÚ Az „arcszobrász" A PRF egyszerű és autológ technika, mely segít a sebészeknek a korai sebgyógyulás javításában KERESKEDELMI HÍREK Medentika premier Budapesten Még hatékonyabb és tartósabb rehabilitáció a páciensek életminőségének javítása érdekében Dental Hírek 4 szám/év Fogtechnika 4 szám/év Digitális Fogászat 1 szám/év Dental Tribune 4 szám/év Implantológia 3 szám/év
2024 DENTAL PRESS AKCIÓ!
16 újság + 16 e-Journal 40%41 000 Ft helyett 25 000 Ft Az előfizetéshez kattintson IDE!
Online magazinok

Dr. Riba Magdolna

„FONTOSNAK TARTOM, HOGY A GYÓGYÍTÓ EMBERNEK

LEGYEN SZAKMAI ÉS ERKÖLCSIETIKAI ÉRTÉKRENDJE…”

Dr. Gerle Jánost kérdeztük fél évszázados szakmai életútjának kihívásairól, eredményeiről és tanulságairól

Dr. Gerle János klinikai főorvos, a Fog- és Szájbetegségek, valamint a Konzerváló fogászat és Fogpótlástan szakorvosa, az SE Oktatási Centrum Igazgatóság és a Szak- és Továbbképzési Titkárság vezetője, a MOK „Fogorvosi Tagozat Alapítványa a Magyar Fogorvosokért” kuratóriumának elnöke, a Magyar Fogorvos főszerkesztője, valamint 2003 óta a Dental Hírek egészségpolitikai és információs magazinjának vezető szaktanácsadója.

Amikor készültem erre a találkozásra, elolvastam annak a beszélgetésnek az anyagát, melyet 2017-ben készítettem. Egy jelentős évforduló kapcsán került erre sor, hiszen a 70. születésnapja alkalmából mi is köszöntöttük. Most ismét egy fontos évfordulóval összeköthetően beszélgetünk, hiszen nemrégen vehette át az Aranydiplomáját. 50 esztendő a fogorvoslásban – ez önmagában elindítja a kérdések sokaságát.

Eddigi ismereteim alapján munkásságát elsősorban a szakma iránti elhivatottsága, a gyógyításban és az oktatásban való kiemelkedő tevékenysége, illetve az igen jelentős közéleti aktivitása határozta meg.

A sok évtized során eltöltött fogorvosi munkájának mely szakaszát emelné ki, mikor volt a legnehezebb az adott kor követelményeinek eleget tenni, mikor érezte legjobban, hogy ennek volt/van eredménye?

Az 50 év nem csak a kérdések sokaságát, de a gondolatok tengerét is elindíthatja, hiszen 56 éve léptem be először az Alma Materem kapuján. E csekélyke idő alatt azért sok minden történt a világban, és persze velem is. Az Aranydiploma átadása nagyon szép, megható ünnepség keretei között zajlott. Rendkívül bensőséges, családias hangulatú, nagyszerű esemény volt, életre szóló élmény, mint az orvossá avatásunk.

Fogorvosi tevékenységem természetesen több szakaszra osztható, de ezek más-más okból egyformán nehezek voltak. A követelmények – ahogy a korok is – folyamatosan változtak, de volt benne egy koherens állandóság: a beteget mindig tisztességesen, legjobb tudásom szerint igyekeztem gyógyítani. Ezt sem a korok változásai, sem a külső körülmények sohasem kérdőjelezhették meg. Az eredményt pedig mindig a beteg elégedettsége jelentette. Persze azt is egyfajta eredménynek tekinthetem, hogy több mint fél évszázada, nap mint nap még mindig ül beteg a „székemben”, és gyógyíthatok.

Az ismereteinek folyamatos bővítése során a fogorvoslás mely szakterületével foglalkozott elsősorban? Mivel fogorvosi létem kezdetektől mostanáig a Fogpótlástani Klinikához köthető, e szakterülettel foglalkoztam elsősorban, ennek széles skáláján kívül, más fogászati, szájüregi betegségben szenvedő páciensek gyógyításával is. A pályám elején még nem volt ilyen nagyfokú specializálódás a fogászat területén, és a szakvizsgák száma is jóval kevesebb volt. A szakvizsgáim adta lehetőségeimen belül mindennel foglalkoztam, sőt gyakorta azon túl is. Igyekeztem sohasem elfelejtkezni arról, hogy nem fogakat, szájüregi betegségeket kezelünk, hanem beteget gyógyítunk.

8 e-Journal DENTAL HÍREK

Szakismereteinek gyarapítását a publikációs tevékenység is követte, jelentősek a szakmai és szakmapolitikai írásai. Publikációiban a fogászat mely szakágával, illetve milyen témákkal foglalkozott elsősorban?

Az egyetemi oktatói munka szerves része a publikációs aktivitás. Valójában két fő területet tudok elkülöníteni, a fogorvos szakmait és a szakmapolitikait, de ennél jóval szélesebb kört érintenek írásaim. Az első természetesen a fogpótlástan szakterületét jelenti, kiemelten a klinikai anatómia és a teljes lemezes fogpótlások, valamint a részleges lemezes és a kombinált fogpótlások tervezése és készítése. Szakmapolitikai írásaim elsősorban kamarai és Szakmai Kollégiumi tevékenységeimhez kötődtek, ezek többnyire felkérésekre, megbízásokra készültek. E kettőn kívül publikációim harmadik körét „közírói” munkásságomként aposztrofálnám. Mivel voltak, sőt vannak még közlésre kínálkozó gondolataim, és eddig szerencsére még akadtak, akik ezeket hajlandóak megjelentetni, éltem a lehetőségekkel. A célom sohasem volt több, mindössze csupán a kollégákat közös gondolkodásra serkenteni. Soha senkit nem akartam meggyőzni, inkább csak szakmai vitákat generálni, legfeljebb elgondolkodtatni azért, mert sok évtizedes tapasztalataim azt bizonyítják, hogy csak azt lehet felemelni, aki fel is akar emelkedni.

Ötven év a fogorvosi szék mellett! Gyógyító munkájában mi volt, illetve jelenleg is mi a „vezérelv”?

Erre röviden lehet válaszolni Hippokratész óta, hiszen a vezérlő elv mindig a „beteg üdve”. Ez pályám kezdetétől a mai napig nem változott. A bővebb válasz már sok elemből áll össze. A gyógyítás csodálatos hivatás, ahhoz, hogy ezt tisztességesen, eredményesen és jól tudd művelni, folyamatosan tanulni, képezni kell magad, továbbá a gyógyításhoz kell egyfajta alázat és türelmes empátia a beteg ember iránt. Egyesek véleménye szerint a gyógyító tevékenységnek van egy magas színvonalú szakmai tudásból álló, mesterségbeli része, és egy spirituális elemekből álló, melynek révén nemcsak materiálisan, hanem pszichésen és érzelmileg lehet hatni a betegre, mely pozitív belső energiákat szabadíthat fel, így motiválva a gyógyulást. Ezt a jelenséget súlyos betegnél gyakorta meg lehet tapasztalni. Fontosnak tartom továbbá, hogy a gyógyító embernek legyen szakmai és erkölcsi-etikai értékrendje, mely megbízható támaszt nyújthat a legkritikusabb helyzetekben is, különös tekintettel a beteg-orvos kapcsolatra. Tudom, hogy bizonyos füleknek ezek elcsépelt, divatjamúlt frázisoknak tűnhetnek, de aki még nem tapasztalt meg valamit, az azt is hiheti, hogy nem is létezik.

Az évek során több intézetben, klinikán is számítottak az Ön munkájára. Hol érezte legsikeresebbnek a tevékenységét?

A diploma megszerzése óta hűséges maradtam szeretve tisztelt Alma materemhez, falait sohasem hagytam el, de a „Tűzoltó utcától a Szentkirályi utcáig” megfordultam néhány helyen. Furcsán hangozhat, de tényszerű, hogy agykutatóként kezdtem pályámat a Szentágothai János vezette világhírű Anatómiai Intézetben. Harmadéves hallgató koromban előbb tudományos diákkörösként, majd díjas demonstrátorként kezdtem, és nyolc szép év után tanársegédként mentem át a Fogpótlástani Klinikára. Mindig vonzott a klinikum, kiemelten a fogpótlástan, így 46. éve a klinika a második otthonom. Közben a rendszerváltás után az Egyetemhez került a Kútvölgyi Kórház, és a Kar vezetése megbízott, hogy ott szervezzem meg a végzős hallgatók klinikai fogászati gyakorlatát. Létrehoztuk a klinikaméretű Oktatási Részleget, melyet tíz évig vezettem. Az oktatási feladatok mellett elláttuk a magas presztízsű VIP ambulancia fogászati betegeit is, és folyamatos konzíliumot biztosítottunk az utánunk beköltöző általános orvosi klinikák számára. Rendkívül sok hasznos tapasztalatot szereztem a fekvőbeteg-ellátás területén is a társklinikákkal való szoros együttműködés során. Aztán jött az Oktatási Centrum, más, nagyon szép és nagyságrendileg is összetett feladatok, valamint kihívások következtek. A kérdésre konkrétan azt válaszolhatom, nem tennék különbséget köztük, mert mindegyiket nagyon szerettem. Élveztem a kollégáim, az Egyetem és a Kar vezetőinek töretlen bizalmát, segítségét és hathatós támogatását. A siker így mindig a közös munka gyümölcse volt. Rendkívüli szerencsémnek tartom, hogy kitűnő munkatársakkal dolgozhattam és dolgozhatok együtt most is. Egy vezető sohasem lehet sikeres egymagában, a miénk egy nagy csapatjáték, és jó

sorsomnak köszönhetően mindig jó csapatban játszhattam. Az OC építkezése még betonszerkezet állapotban volt, amikor megbíztak a feladattal, és kimondva számomra is hihetetlenül soknak tűnik, de 17 éve még mindig itt vagyok. Úgy látszik, nem csak a mesékben fordulhat elő, hogy az álmok beteljesülnek, néha a valóságban is.

Az egyetemen oktatóként is sok és jelentős feladatot elvállalt, megoldott. Ezekből – mai megítélése alapján – melyek voltak a legfontosabbak?

Korábban említettem, először anatómiát, szövet- és fejlődéstant oktattam, majd a fogpótlástan széles repertoárját a propedeutikától a klinikai fogászatig. Ez a graduális okta-

9 VII. ÉVFOLYAM – 2024. 3. SZÁM

tás, de kezdetektől részt veszek a posztgraduális képzésben, amely a szakorvosképzésből és a különböző szintű továbbképzésből áll. Tehát lényegében minden fogorvos-generációval napi kapcsolatom van a legfiatalabbtól a legidősebb, még aktív kollégákig. Mindegyiknek megvan a maga szépsége és a nehézsége is. Az oktatást mindig többnek tekintettem, mint csupán szakmai ismeretek átadását, a fogorvosi munkafolyamatok elméleti és gyakorlati megtanítását. Önálló gondolkodásra, jó szakmai döntésekre képes, magasan képzett fogorvosokra és valódi értelmiségi vezető szerepre kész, kiművelt emberfőkre lenne szükség.

Jelentős része volt az új típusú szakorvosképzés és a folyamatos továbbképzés rendszerének a kialakításában is. A hosszú évek tapasztalatairól és az azóta történt jelentősebb változásokról szeretném kérdezni.

Az új típusú szak- és továbbképzés 2000-ben indult el dr. Gógl Árpád miniszter irányításával és hatékony támogatásával. Az egyetemekkel szorosan együttműködve, hosszú előkészítő munka, sok tanulmány készítése és konzultáció előzte meg rendszerszintű bevezetését. Jelentős mérföldkőnek tekintem ma is, mely felértékelte a tudást, és folyamatos, ellenőrzött, teljesítéscentrikus szakmai ismeretszerzésre késztette a kollégákat. Átformálta az elavult szakorvosképzést, létrehozta a központilag finanszírozott és szervezett rezidensrendszert. Magasabb szintre emelte a szakvizsgák tudásanyagát, és prioritásként kezelte a nemzetközi szintű szakmai információáramlást, a tudásbázis korszerűsítését. Ez később meghatározó szerepet játszott abban is az unióhoz való csatlakozásunkkor, hogy diplomáink „euro-konformmá”, és minden tekintetben teljeskörűen elfogadottá váltak. Szép, alkotói folyamat volt, sokat tanultam belőle, és eredményének tekintem azt is, hogy „összehozta” a négy

egyetem orvos-fogorvos-gyógyszerész oktatóit, kitűnő kapcsolatokat építve. Azóta jelentősen nőtt a gyógyító munka és az ellátórendszer szakmai színvonala. A hazai rendszer működése nemzetközi összehasonlításban is példaértékű volt. Azóta több új szakvizsgával és licensszel lettünk gazdagabbak, és elmondhatjuk, hogy a kis fogorvosi szakmából ma már presztízsértékűen nagy, gyógyító szakmává váltunk. A fogorvostudomány is rohamléptekkel, rendkívül dinamikusan fejlődik (lásd például digitális fogászat), újabb és újabb diszciplínák nőnek ki a régieket túlhaladva, ezért a folyamatos változás a fejlődés mozgatórugója. Azok a kollégák pedig, akik kemény munkával, sok tanulással ezeket a szakképesítéseket megszerzik, magas felkészültségük révén szakmai rangot, elismerést vívnak ki maguknak.

Közéleti tevékenységének rendkívül gazdag „tárházából” nehéz válogatni! A Magyar Orvosi Kamara és a Fogorvosi Tagozat egyik megalapítójaként, illetve a MOK alelnökeként, a Fogorvosi Tagozat elnökeként szerintem nem csak az orvosoknál, hanem a közélet iránt érdeklődő emberek körében is ismert és elismert lett az Ön neve. Sok kihívás, feladat várhatta e feladatkörben eltöltött több mint 30 év során. Lehet erről valamilyen összegzést készíteni egy beszélgetés során?

A kérdésben benne van a bizonytalan felhang, hogy lehet-e egyáltalán. Persze egyfajta összegzést lehetne készíteni, de én inkább jó néhány oldal „sűrítményének” nevezném. Kezdjük akkor a Kamarával. Egyik alapító tagja voltam a Kamarának és a Fogorvosi Tagozatnak is, több mint 30 éven keresztül elnöki és alelnöki pozíciót töltöttem be. A kamarai munka indította el közéleti szerepvállalásomat. Sokat köszönhetek ennek, és hálás vagyok minden kollégámnak, aki segített, támogatott, együtt küzdött velem. A Kamarában a közelmúltban zajló „események” arra késztetnek, hogy erről többet most ne is mondjak. Az a Kamara azonban, amelyben évtizedeken át választott tisztségviselő lehettem a küldöttek bizalmából, mindig a legszebb emlékeim közé fog tartozni. Sok cikluson keresztül voltam tagja, titkára a Szakmai Kollégiumunknak, így ez a kamarai tevékenységemmel együtt a szakmapolitika felé terelte érdeklődésemet. Ennek révén sok minisztériumi bizottságban dolgoztam, tanulmányokat készítő munkacsoportokban vehettem részt.

Az egyetemi polgári lét amúgy is számtalan lehetőséget biztosít a kooperációra, a kapcsolatépítésre, érdeklődő nyitottságot teremt az ismeretszerzésre. Igyekeztem élni a lehetőségekkel, és számtalan érdekes, kiváló emberrel hozott

10 e-Journal DENTAL HÍREK

össze az élet, a tanulás bő tárházát biztosították ezek a találkozások, kapcsolatok.

Sokirányú munkájára felfigyeltek az illetékesek, illetve értékelték is azt az évek, évtizedek során. Nehéz lenne mindet felsorolni, de szeretném kiemelni, hogy 1981ben megkapta a Körmöczy Zoltán Pályadíjat, 1982-ben az Egészségügy kiváló dolgozója lett, 1992-ben Semmelweis Egyetem kiváló oktatója elismerésben részesült, 2000ben a Magyar Orvosi Kamara Hippokratész Emlékérmét, 2011-ben a Semmelweis Egyetem által adományozható legmagasabb kitüntetést, a Pro Universitate Díjat nyerte el, 2017-ben lett a Semmelweis Egyetem Kiváló Dolgozója, majd 2020-ban a Magyar Érdemrend Lovagkeresztjével tüntették ki. Hogyan fogadta ezeket az igazán rangos elismeréseket?

Tömören: örömmel és jó szívvel! Az elismerés mindig jólesik, jöjjön az betegtől, hallgatótól, kollégától, vagy bárkitől. A kitüntetés, a díj lezár egy időszakot, vagy korszakot, továbbá valamilyen feladat sikeres megoldását értékeli, jutalmazza. Már elmondtam máskor is, ha kérdezték: az intellektuális élmény, a feladat érdekessége, a kihívás súlya, a sikeres alkotói folyamat és a munkatársak kiválósága, a kitűnő csapatmunka az igazi ajándék.

A lapszerkesztés és a szakmai tanácsadás sok munkát és folyamatos szakmai, szakmapolitikai tájékozódást igényel. Napi vezetői, gyógyító munkája mellé miként tudja évtizedek óta ezeket a feladatokat is beilleszteni?

Tulajdonképpen relatíve könnyen ment, mert az egyetemi oktatói feladat része a publikációs tevékenység, szakmai közlemények készítése, a tankönyvírás. A lapkészítés, lapszerkesztés különösen izgalmas, érdekes feladat, érdemes volt kipróbálnom ezt a műfajt is. Ez a munka változatosabbá, színesebbé teszi napi tevékenységemet. Persze azért előfordul időzavar, sőt határidőkényszer is, különösen, ha szorít a lapzárta, sürget a nyomda, mert a lapot pontosan kell megjelentetni. De ott van a hétvége. Gyakran ekkor készülök, olvasok, anyagot gyűjtök és írok is, mert hiába kelek minden nap korán, a 24 óra nekem se ad több lehetőséget. A két újsághoz érzelmi és lelki szálak is kötnek, így sohasem sülylyed monoton, „favágó” tevékenységgé a lapkészítés, inkább szervesen illeszkedik napi feladataimhoz. Tágítja a világképem, élénkíti az agyműködésem és a tanulás-tanítás részévé válik. Boldogabb pillanataimban néha még magammal is el tudom hitetni, hogy szeretem ezt csinálni…

A beszélgetésünk alatt megkísérelt összegzés után hallhatnánk a családjáról, a mostani nyárról, a legkedvesebb szabadidős tevékenységéről, illetve a jelenlegi és további terveiről?

A nyár, a szabadság mindig jó dolog, nagyon várom. Gyerekkorom óta imádom a Balatont, az idei szabadságot ott töltöttük. Ilyenkor igyekszem kerülni minden felesleges protokollt, a trikó-tornacipő-bermuda háromszög is segít ellazulni, és könnyen elengedem a világmegváltó dolgokat. Nem kelek korán, próbálok többet olvasni, nem nézek televíziót, és ez kifejezetten jót tesz a pszichémnek.

Fő foglalkozásként tereljük az unokáinkat és élvezzük, hogy több időnk jut egymásra. Amúgy nagyon szeretünk utazni, kalandozni idegen tájakon, de ez most elmaradt. Nem bánkódtunk miatta, örültünk annak, amire lehetőségünk volt. Ennek kapcsán gyakran jut eszembe Simon Weil (Schäffer Erzsébet után szabadon) filozófikus mondata: „Meg kell tanulnunk vágyakozni azután, ami a miénk”.

A családról dióhéjban: három gyermekünk van, felnőttek, régen kirepültek, önálló életet élnek, szorgalmasan dolgoznak. Hárman teljesen háromfélék, és szerencsére úgy látom, jó útravalót kaptak már a nagyszülőiktől eredendően. Küzdenek, szépen boldogulnak, iránytűként maguk alakította, megbízható értékrendjük van. Ezért jól eligazodnak ebben a bonyolult, természetet, emberi kapcsolatokat, tradicionális értékeket romboló világban. Feleségem is egyetemi oktató az Anatómiai Intézetben. Van két unokánk, állandó mozgásban tartanak, így szerencsére nem hagynak időt az öregedési folyamatoknak, sokat vagyunk együtt, nem unatkozunk mellettük, és jutalmul szebb lett az életünk velük. A gyakori hétvégi családi ebédek jó alkalmak arra, hogy közösen rendbe tegyük a világ dolgait, és mindenki elmondhassa, ami a szívét nyomja, de ezt sok humorral és jókedvűen tesszük. Már nincsenek nagy ívű terveim, beérem annyival, hogy napi feladataimat tisztességgel elláthassam mindaddig, amíg számítanak rám, a munkámra.

Köszönöm, hogy a sok-sok évtizedet átölelő munkásságát, annak eredményeit és tanulságait elmondta Olvasóinknak, akik a fogorvosi szék mellett töltött 50 év tapasztalataiból sokat meríthetnek, tanulhatnak! Kívánom/kívánjuk, hogy írásaival – a Dental Hírekben is – még sokáig „közös gondolkodásra serkentse” Olvasóit!

Beszélgetésünk végén megismétlem a korábbi riportunk utolsó gondolatát: „Laetus sum laudari a laudato viro” /Tekintélyes ember dicsérete jólesik/ (Cicero).

11 VII. ÉVFOLYAM – 2024. 3. SZÁM

XXIV. Dental World

Nemzetközi Fogászati Kiállítás és Kongresszus 2024. október 10–12., Hungexpo

40% Super Early Bird kedvezmény 2024. április 30-ig!

Vegye meg jegyét most: dentalworld.hu

24

A Dental World kiemelt előadói

Dr. Federico Ferraris Dr. Pedro Moura Dr. Igor Ristic Dr. Louis Hardan Dr. Shanon Patel Dr. Stavros Pelekanos Dr. Ioannis Vergoullis Dr. Chad Foster Dr. Martin Baxmann Dr. Alfredo Iandolo Dr. Jarett Hulse Dr. Riccardo Ammannato Dr. Mohammed Zafrany Dr. Michael Melkers Dr. Derek Mahony Dr. Emmanuel Leal da Silva

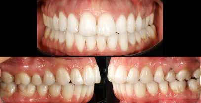
FELNŐTTKORI CLASS 2-ES

ELTÉRÉS KEZELÉSE PITTS PROTOKOLLOKKAL

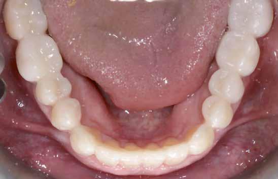
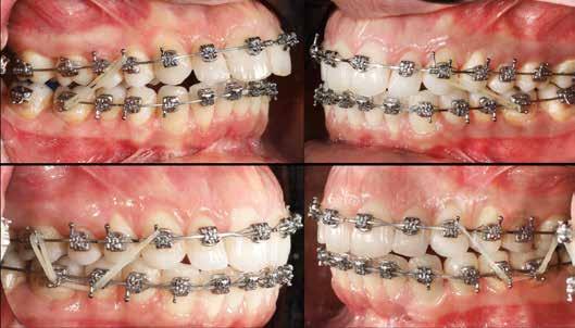
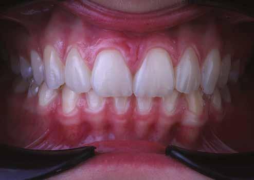
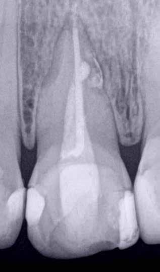
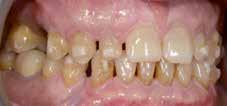
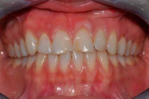
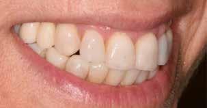
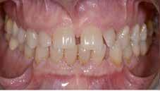
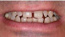
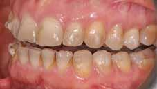
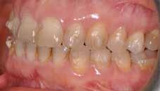
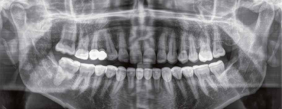
Hölgy páciensem az első konzultáció során tipikus kórtörténetet vázolt fel: Gyermekkora óta szeretett volna fogszabályozó készüléket, hiszen mindig is zavarta a class 2-es eltérésnél tipikusan jellemző nagy overjet (1-3. képek), és természetesen az ezáltal kifelé álló felső metszőfogai, részben a felső metszők protrúziója, részben pedig a disztálisan elhelyezkedő mandibula miatt. Annak ellenére, hogy több fogszabályozó szakorvosnál is járt az évek során, de mivel saggitális eltérése és az alsó metszőfogak torlódása miatt négy kisőrlőfog extrakcióját, illetve emellett sokszor állcsont műtétet is javasoltak neki, nem vágott bele a kezelésbe (4-5. képek).

A fogorvosa – nagyon helyesen – felhívta a figyelmét, hogy parodontális státusza is valószínűsíthetően romlani fog az eltérése miatt, újabb kört futott, immár 39 évesen, de még mindig premoláris fogak húzása és állcsontműtét nélkül szerette volna a fogszabályozást.

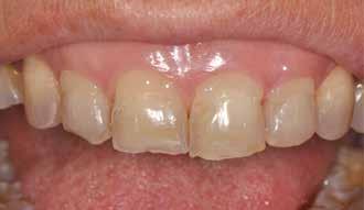
A konzultáció során arról is beszéltünk – ahogy az ilyenkor lenni szokott –, sohasem szeretett igazán mosolyogni, de a Pitts Protokolloknak köszönhetően az arc- és mosolyesztétikai céloknak megfelelően kerül megvalósításra az okklúziós korrekció. Az okklúziós kezelési célok az alábbiak voltak: a felső és alsó fogív nivellálása és tágítása, az alsó fogsor/ mandibula mezializálása, valamint a harapás megemelése által a mélyharapás rendezése.

Az esztétikai kezelési céloknál a Pitts elvek szerint a legfontosabb fogak a felső, középső metszők, a cél ezeknek a tökéletes pozícióba állítása. A legfontosabb, hogy a felső, középső metszők labiális felszíne merőleges legyen a Frankfurti Horizontálisra, vagyis természetes fejtartásnál (Natural Head Position) párhuzamos legyen a vertikális síkkal (6. kép) Ehhez az ideális pozícióhoz képest minél protrudáltabbak a felső metszők, annál laposabb, szemből nézve kevésbé ívesebb lesz a mosolyvonal, másrészt optikailag a metszők

14 e-Journal DENTAL HÍREK
Dr. Csiki Péter
1. 2. 3. 4. 5.

hossza is rövidül, azaz a Vertical Incisor Display (Metszőfog láthatóság) csökken. A miniesztétikai, vagyis a mosolyesztétikai eredmény szempontjából egyik jelenség sem kívánatos. A mikroesztétika (a fog- és ínyesztétika) is szorosan hozzátartozik az esztétikai paraméterekhez, ennek tökéletesítése is minden esetben a célok közé tartozik fogkontúrálással vagy esztétikai fogászati felépítéssel, továbbá interproximális redukcióval és szükség esetén lézeres ínykontúrálással (7. kép).

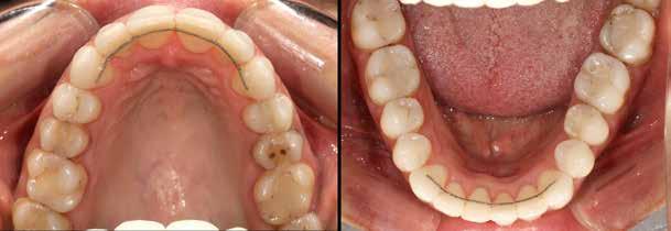
A kezelést Pitts-21-es fogszabályozó készülék alkalmazásával végeztük el. A felső fogíven mosolyvonal beállító esztétikai (Smile Arc Protection - SAP), az alsó fogíven a Spee görbe kiegyenlítését szolgáló funkcionális bracket pozicionálást

alkalmaztunk. Előbbi elengedhetetlen a szép, íves mosolyvonal kialakításához, utóbbi pedig az alsó fogsor mezializálásához, és így az első osztályú sagittális okklúzió kialakításához. Az alsó metszők torlódásának feloldására tolórugókat alkalmaztunk az első hónapban (8. kép)

A protokollok szerves része a mesterséges harapásemelés, melynek segítségével – mintegy kivéve a rágóerők fogmozgatásokat akadályozó hatását – segítjük fogszabályozó rendszer működését. Ezek a ragasztásnál az alsó 7-esekre, majd később a felső 4-esekre kerültek (9. kép).

A harapást beállító elasztikus gumihúzásokat, mint minden kezelésnél, ebben az esetben is folyamatosan, az egész ke-

15 VII. ÉVFOLYAM – 2024. 3. SZÁM
6. 7. ARANY MUNKÁIT RENDELJE MEG A SCHULZE LABORTÓL! Több mint 100 éves tapasztalat! INLAY, ONLAY ARANY KERÁMIA ARANY LEMEZ ARANY KOMBINÁLT MUNKA LEMEZ ARANYOZÁS GALVÁN MUNKÁK KESZÍTÉSE ELÉRHETŐSÉG: +36 20 366 10 80 schulzefogtechnika@gmail.com

zelés alatt 24 órában (étkezések kivételével) viselte a páciens. Segítségükkel történt az alsó fogsor mezializálása, és a harapásemelésben is fontos a szerepük a disztálharapás korrekciója során. Az utolsó hónapokban az okklúziós finomítások is részben a segítségükkel történnek az ívhajlítások mellett (10. kép).

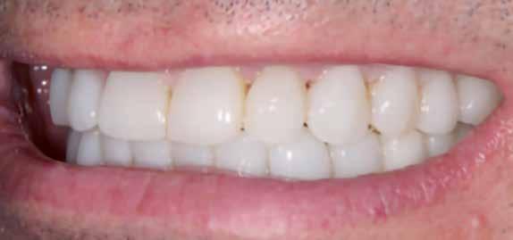
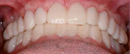
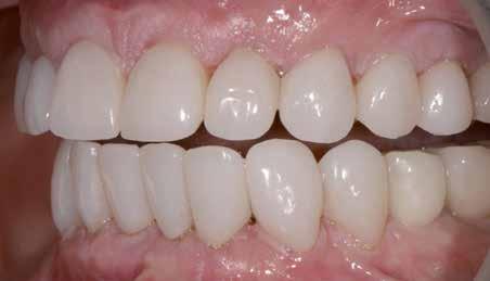
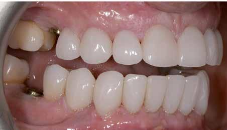
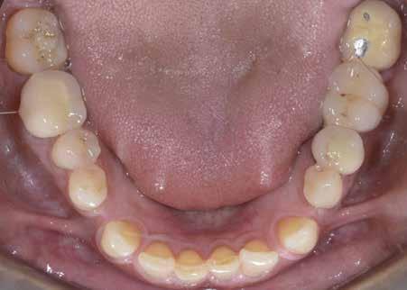
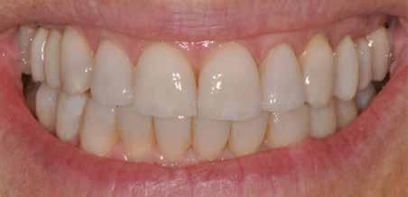
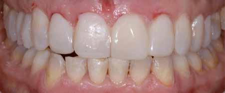
A fogkontúrálás és az interproximális redukció alkalmazásával a mikroesztétikai részletek tökéletesítése is megtörtént (11. kép) A kezelés mindössze 16 hónapig tartott, megtörtént a rágófunkció helyreállítása, és az esztétikai végeredmény sokéves várakozás után valóban fordulópontot jelentett páciensünk életében (12-14. képek).

A fogszabályozás aktív fázisa után minden kezelésnél a retenció, a passzív helyben tartó fázis legalább annyira fontos, mint az előtte történtek, továbbá a fogak pozíciójának, de a beállított harapás stabilitásának a segítése is.

Előbbi elérésében az ún. essix retainerek, az egy fogívre kiterjedő mélyhúzott sínek tartják a felső és alsó fogívben a fogakat a beállított pozíciójukban, a felső és alsó frontfogakra orálisan ragasztott fix retainerek mellett (15. kép).

A harapás sagittális rögzítésében elengedhetetlen szerepe van az ún. Pitts Izom Tréning Splintnek, amelyben a páciens összeharap, így az megakadályozza az alsó fogsor visszamozdulását a disztálharapásos helyzetbe (16. kép).

16 e-Journal DENTAL HÍREK
1. Pitts Protocol Issue 1-11 2. Pitts Protocol Clinical Article Issue 3. Journal of Clinical Orthodontics Volume 51 Number 03: Bracket Positioning for Smile Arc Protection Irodalomjegyzék 12. 14. 15. 16. 13. 10. 11. 8. 9.

Dr. Csillag Mária

GONDOLATOK AZ OKKLÚZIÓRÓL A SMYLIST

MÓDSZER FÉNYÉBEN

Kiegyensúlyozott és forszírozott fogérintkezés és annak hatása

A komplex esztétikai munkák készítésekor óhatatlanul funkcionális megoldásra is váró esetekkel találkozunk, amelyek nagy többségében temporomandibuláris ízületi fájdalmakkal járnak, és diszfunkciókkal járó kórképeket is kezelnünk kell. A fogak érintkezésének kialakításakor így nem elegendő az esztétikai irányelveket alkalmaznunk, hanem egy komplex szemléletrendszerre, ezen belül az okklúzióról tanult ismereteinkre is szükségünk van.

Minden rendszer, probléma akkor lesz átlátható és megfejthető, ha több szemszögből is vizsgáljuk (1. kép). A képen ugyanaz a formarendszer látható más-más perspektívából szemlélve: egy kör, melynek középpontján egy egyenes halad át. Az egyik oldalról keresztként látható, a másik oldalról egy kör, közepében pont figyelhető meg. A helyes fogérintkezések kialakításakor is célszerű több szempont szerint megvizsgálni a helyzetet, és igénybe venni a megoldásokhoz különböző diagnosztikai, illetve megvalósítási módszert is. Így segítségünkre lehet az egyedi középvonal-rendszerek is-

merete, az arcredő diagnosztika, az izomdiagnosztika (Smylist besorolás), a TMI-ről alkotott tudásunk, a CT/MRI vizsgálatok, az egyedi artikulátorok és a miotómok alkalmazása, esetlegesen arcívek használata, továbbá a digitális tervezés is (2. kép). A Smylist Módszer például összetett szemlélettel közelíti meg az okklúzió kérdését. A maxilla fogainak állását, elhelyezkedését az arckoponyából számolva tervezi meg, a mandibula fogainak érintkezését pedig az izomdeprogramálással meghatározva hozzárendeli a már kialakított maxilláris fogakhoz. Az okklúziót egyetlen helyes pozícióban tudja elképzelni, ahol minden izom feszülésmentes. Minden egyes paraméternek, dőlésnek jelentősége van mind az esztétikai, mind pedig a funkcionális téren. A láthatóan nem esztétikus megjelenés biztosan rejt magában funkcionális problémát is. Például egy kijjebb álló szemfog esztétikailag sem ad megfelelő látványt, de laterális stop és szemfogvezetés hiánya miatt funkcionális gondot is fog okozni. A rövidre tervezett

frontfogak esztétikailag is kellemetlen megjelenést biztosítanak, ugyanakkor mivel a frontfog stop nem elégséges, így az állkapocs előrecsúszását eredményezi, majd a fogak a nagymetszőkön támaszkodva további funkcionális problémát is okoznak. A fogérintkezés problémái az izomzatban is jelentkeznek, a kompenzációk szinte azonnal láthatók az arcon, később a test izmain, a testtartáson is. Különböző fogérintkezési problémák izomkompenzációs mintázata teljesen típusos megjelenésű, leolvasható a testtartásból, sőt az arcról is.

Ahhoz, hogy esztétikai munkánk jelentőségét, az okklúzió kialakításának felelősségét fel tudjuk mérni, mindenképpen a fogak és a fogakat körülvevő csontozat felépítéséig kell visszamennünk. Mindenekelőtt azt kell látnunk, hogy minden szervünk, minden egyes testrészünk valójában egy élő test részegységeként fogható fel, amelyben különböző sejtek dinamikus tevékenysége figyelhető meg, a sejtek életciklusuktól függően állandóan változó közeget adva, életteret biztosítva, milliónyi funkciót ellátva, valójában egy önálló struktúrát alkotnak. Nincs ez másképpen a fogak és a maxilla, valamint a mandibula egységének szemlélésekor sem. A csontozatot felnagyítva folyamatosan változó közeget figyelhetünk meg az oszteoklasztok, oszteoblasztok, oszteociták meg nem szűnő működése kapcsán is. Kollagéntermelés, ásványi anyagszállítás, csontlebontás egyidejű jelenléte tapasztalható. Ha ezeket a folyamatokat, a sejtek működését, nyüzsgő világukat kisfilmként néznénk, bizonyosan elgondolkoznánk azon, hogy ebbe az élő, folyamatosan változó struktúrába, nyüzsgő világba hogyan és milyen módon szólhatunk bele a fogak érintkezésének megváltoztatásakor, illetve hogyan tudjuk ezt a kialakult harmonikus egységet és funkciót megőrizni. Ebbe a dinamikusan változó közegbe kapcsolódnak bele fogaink egy speciális ízületi rendszerrel, az ún. gomphosissal (3. kép). Minden egyes fogat, fogfelszínt is érintő változás erre az ízületi egységre hat. Az „ízületre” ható erők kompenzálását a gyökérfelszínen tapadó, periapikális térben található szalagok (periapikális ligamentumok) végzik, azaz nem csak a fogat rögzítik ebben a térben. Valójában, amikor a fogak érintkezését, a statikus és a dinamikus

18 e-Journal DENTAL HÍREK
1. kép: Ugyanaz a forma különböző nézőpontokból vizsgálva.

2. kép: A helyes okklúzió kialakításához alkalmazható segédeszközök és elméletek.

okklúziót alakítjuk ki, illetve a helyes artikulációt biztosítjuk, akkor nem teszünk mást, mint egy többízületes egység kialakítását végezzük egy folyamatosan változó közegben (4. kép). Vagyis 2x átlagban 24 (gyökerek számától függ) gomphosis ízület helyes működését próbáljuk biztosítani statikus és változó közegben a kialakításra váró komplex beavatkozásokkal a fogak érintkezéseinek kialakítása során. Ha ebbe belegondolunk, akkor talán teljesen másképp látjuk a fogak érintkezését, az okklúzió kérdését és problematikáját is. Az élő szövet válaszreakciókat ad. Ahogy a periapikális terület nyomást érzékel, változások indukálódnak a csontban is. A tengelyirányú erők a fogak túlterhelődéséhez vezetnek, a fogak a parodontális résbe nyomódva az ott futó idegeket, ereket összenyomva, a gyökérhártyát terhelve, akár a fogak elhalásához is vezethetnek. A fogakat oldalirányból

3. kép: Gomphosis.

érő erők azonban a fogak egyik oldalán az oszteoklasztok, másik oldalán az oszteoblasztok működése révén csontbontást és csontépülést eredményeznek. Ezt a sejtaktivitást használja ki valójában a fogszabályozás a különböző készülékek alkalmazása során előidézett fogmozgatások kapcsán. A kérdés csupán az, hogy vajon ezek a fogmozgások megfigyelhetők-e máskor is. A válasz igen egyszerű, és logikai úton megtalálható. Abban az esetben, ha a fogakat aszimmetrikus erők érik, megindul a fogvándorlás. Ilyen lehet az állkapcsot tartó izomzat aszimmetrikus működése következtében történő izomegyensúly megbomlása, amelynek következtében a fogakat érő erők aszimmetrikussá válnak. Az állkapocs fogai egyik oldalon jobban fogják nyomni a maxilla fogait. Ez az aszimmetria eredményezi azt, hogy egyes fogakat, fogcsoportokat oldalirányú, kiegyenlítetlen erők

4. kép: A fogak érintkezése egy többizületes okklúziós egységként is felfogható.

19 VII. ÉVFOLYAM – 2024. 3. SZÁM

is érhetik. A sejtaktivitás nyomás-húzás hatására történő megváltozása miatt egyik oldalán csontlebomlás, másik oldalán csontépülés lesz megfigyelhető. Ennek következtében a fog, fogcsoportok elmozdulnak, egymással való érintkezésük, okklúziójuk minden időpillanatban más és más lesz. Ez az elmozdulás elsődlegesen a maxilla fogain figyelhető meg. A fogak vesztibuláris irányba tolódnak és idővel intrudálódnak is, amelynek következtében az állkapocs – fenntartva a maxilla fogaihoz történő kapcsolódás lehetőségét – rotálódik és el is billen. Ezt a folyamatot a mandibula fogainak folyamatos elmozdulása kíséri, végül egy teljes alsó-felső fogazatra jellemző fogmigrációs-mintázat figyelhető meg a szájban, az állkapocs íveken. Tehát egy bal szemfog ektópia vagy helytelenül kialakított korona, héj képes egy teljes balra rotációs folyamatot előidézni, ami idővel balra billenéssel is kombinálódik, és a folyamat az ízületi vápának a remodellálódásához is vezethet. A páciens fogainak okklúzióját vizsgálva tökéletesnek tűnő fogsorérintkezést kapunk az éves vizsgálatokon, amelyhez később társulnak csak a TMI fájdalmak, a gnathológiai problémák, miközben a fogak lassú mozgása miatt az okklúzió egy lassú dinamikájú folyamatot tükröz. Az izom aszimmetrikus működésének hatására létrejövő fogelmozdulást a Smylist Módszertanban „önfogszabályozás”-nak, „selfortho phenomenon”-nak nevezzük. Ebből a jelenségből logikusan következik, ha szeretnénk egy stabil okklúziót, fogérintkezést kialakítani, akkor a fogak érintkezését csakis az izmok kétoldali szimmetriája esetén lehet biztosítani, amiben a fogakat nem éri olyan erő, ami miatt elmozdulnának. Ez egy teljesen ideális eset, amelyben az összes rágóizom, mimikai izom, a nyelv és az állkapocs alatti izom is feszülésmentesen működik, sem spazmust, sem megnyúlást nem mutat. Ahogy már említésre került, a helytelen okklúziós viszonyok a rágóizomzatra és a mimikai izomzatra is hatnak.

Sajnos a megoldásra váró komplex eseteink többségében azonban aszimmetrikus izomműködéssel állunk szemben, amelyben egy dinamikusan változó fogérintkezést figyelhetünk meg egy-egy időpillanatban. Így az adott okklúzió a legtöbb esetben illúzió, hiszen folyamatosan változik, azonban a fogmigrációs folyamat lassú dinamikája miatt ez a változás csak évek alatt érzékelhető (5. kép). Így szigorúan véve, minden fogazatot érintő beavatkozás – amennyiben nincsen megfelelő izomszimmetria – csupán egy instabil rendszerben való építkezési kísérlet, amelynek eredménye logikai alapon is a 24 gomphózis ízületi komplexum adott elemeinek – egy-

5. a kép: Mentális izom megnagyobbodás.

egy fog vagy gyökér körüli terület, vagyis ízület – biztos túlterhelése lesz. (Ennek mintázata egyébként az izomműködés aszimmetriájából, az állkapocs rotációjából adódóan teljesen típusos a Smylist besorolás szerint). A fogorvos feladata tehát minden egyes komplex és nem komplex beavatkozás esetén az lenne, hogy ezt az adott izomszimmetriát a megfelelő okklúzális viszonyok kialakításának biztosítása érdekében megteremtse, illetve megtartsa. A Smylist rendszerben az állkapocs nyugalmi helyzetében létrejövő fogérintkezést, okklúziót BOP-nek (Balanced Occlusal Position) nevezzük. Minden más izomspazmussal járó állkapocs helyzetben létrejövő fogérintkezést FOP (Forced Occlusal Position), azaz forszírozott, erőltetett állkapocs pozíciónak hívjuk. Ennek az izomaszimmetriának a jelei rögtön mutatkoznak nem csak a rágóizomzatban, hanem a mimikai izomzatban is, izomelváltozásokat okozva az arcon. Ezek az izomeltérések jellemzőek lehetnek egy-egy izomcsoportra, illetve az arc egészére is típusos képet adnak: masseterhipertófia, mentális izom megnagyobbodása, zygomatikusz izom aszimmetrikus ellapulása (6. a-b-c kép) Minden BOP-ben, azaz harmonikus, izomszimmetriában kialakított fogérintkezésben készülő komplex esztétikai beavatkozás, fogszabályozási terápia, implantprotetikai megoldás stabil, problémamentes eredményt ad, hiszen aszimmetrikus erők nem fognak fellépni a pótlások átadása után. Azonban, ha a munkák FOP-ben készülnek, akkor számítani kell a héjak, koronák lepattanására, az implantációs pótlások esetleges kimozdulására, a parodontális esztétikai műtétek siker-rátájának csökkenésére, a fogszabályzó kezelések eredményének kollapszusára. Ezekben a helyzetekben a fogakat jelentős aszimmetrikus izomerő éri. Ahhoz, hogy ez ne történjen meg, az izmokat deprogramálni kell, amelyre többféle módszer is létezik. Az izomdeprogrammálást követően egy olyan állkapocshelyzet jön létre, amely viszonyításként megmutatja, hogy a fogaknak hol kellene érintkezniük (6. kép). Ebben a relációban szükséges kialakítani a helyes fogérintkezéseket, a frontfogak, szemfogak közötti stopokat, a Spee- és a Wilson görbéket, a hármas egységeket, továbbá a fogak ötpontos érintkezéseit (7. a-b kép). Fontos ezen kívül a megfelelő overbite és overjet kialakítása, a fogexpozíció mértéke, és a fogak, ajkak viszonyának helyes kialakítása is.

A fogak érintkezésének, az okklúziós viszonyoknak ismerete elengedhetetlen a helyes pótlás kialakításához. Ha ismerjük az okklúziós problémákat, a következményes izomváltozásokat, az ahhoz tartozó arcesztétikai problémákat, akkor könnyen diagnosztizálhatjuk az arcból is a gnathológiai el-

5. b kép: Ellaposodott zygomatikus izom mindkét oldalon.

5. c kép: Tipikus arcizommintázat állkapocsrotáció esetén

20 e-Journal DENTAL HÍREK

6. kép: Deprogrammált állkapocs esetén látható fogsorzáródás és a fogívek relációja.

7. b kép: Fogérintkezések.

9. kép: Helyes okklúzió hatása a testtartásra.

7. a kép: Fogérintkezések.

8. kép: Arcaszimmetria kezelése az okklúzió rendezésével, stabilizátor terápiával.

változást. Az izmok és redők változásaiból az állkapocs helyzetére vonatkozó információkat kaphatunk (jobbra, balra rotált, billent, felfelé rotált). Ezen információk birtokában a terápiát helyesen tudjuk megválasztani, és képesek leszünk arcfiatalító hatást is előidézni, valamint arcaszimmetriai problémákat megoldani (8. kép)

A FOP-ben, spazmusban vagy nyújtásban lévő izomtartás mellett kialakított fogművek esetén (vagy saját fogazatnál) a rotációt megfigyelve nagyon sokféle melléktünetre számíthatunk.

Fogakat, állcsontot érintő tünetek:

• Fájdalmak, sajgás a túlterhelés, hiper-szenzibilitás aszimmetrikus izomműködés, traumás harapás miatt;

• Fogmigráció (self ortho phenomenon) a fogakat érő aszimmetrikus izomműködés miatt. Az egész rágóapparátust nézve teljesen típusos megjelenési formája van. Balra

rotáció esetén például a bal oldali maxilla fogazat kifelé dől és intrudálódik, a jobb oldali maxilla fogazat befelé dől és elongeálódik (10. a-b kép);

• Nyaki kopások a fogat érő erő ellentétes oldalán, ahol a zománc az oldalirányú erők hatására összetöredezik. A kopások adott mintázat szerint jelennek meg a fogíven. Például felfelé rotáció esetén a metszőfogak vesztibuláris oldalán (11. kép);

• Típusos fogkopások a frontfogakon, szemfogakon, moláris területen;

• A fogak inklinációjának, protrúziójának megváltozása (12. kép) . Például felfelé rotálódó állkapocs esetén a nagymetszők protrúziója egy idő után kifejezetté válik;

• A nyomásnak kitett oldalon exostotikus képletek jelennek meg az állcsonton (13. kép)

21 VII. ÉVFOLYAM – 2024. 3. SZÁM
10. a: Balra rotálódott állkapocs tipikus tünete a fogak állására nézve. 10. b kép: Balra rotálódott állkapocs.

11. kép: Fogak rotációnak megfelelő kezdődő nyaki kopásai és íny recessziója.

13. kép: Exosztotikus képletek a 13 fog felett jobbra rotált állkapocs esetén.

12. kép: Protrudált nagymetszők.

14. kép: Lelapult középarc, inaktív zygomatikus izom.

15. kép: Lelapult zygomatikus izom, hipertrofizált mentális felfeé rotálódott állkapocs esetén.

16. kép: Redőzet az arcon jobbra rotált és jobbra billent állkapocs esetén.

Az arcra gyakorolt hatás:

• Megváltozik az arc izomszerkezete: a FOP-ben az izmok spazmusba kerülnek. Nem csak a rágóizomzat, hanem típusos mintázatot adva, a mimikai izomzat is. Egy jobbra rotáció esetén a bal oldali masseter izom hipertrófiája fi-

gyelhető meg, ugyanakkor a bal oldali zygomatikus izom ellaposodása. Ez a mandibula csavarodásával járó bőrre, izomzatra ható húzó erők miatt jelentkezik. A felfelé rotáció tünete, mindkét oldali zygomatikus izom inaktivitása, a mentális izom hipertrófiája (14.,15. kép);

22 e-Journal DENTAL HÍREK
15. 16.

17. kép: Jobbra billent állkapocs arckontúraszimmetriája.

• Megváltozik az arc redőszerkezete. A szem alatti ráncok kifejezettek lesznek, sokszor az ívelt formából háromszög alakúra váltanak a bőr lehúzása miatt. Az állkapocs rotációt mindig kíséri egy aszimmetrikus redőzet. A nasolabiális redő a rotációs oldalon a horizontálishoz közelít, úgy, mint a Marionett redő is. Ez egy jól felismerhető jele az instabil okklúziónak és a rotációnak (16. kép);

• Amikor az okklúziós billenése is bekövetkezik a hosszú távú aszimmetrikus erők miatt, akkor ez az arcon az arckontúr változásával is jár. Leginkább az állkapocs-pozíció-aszimmetriája figyelhető meg, valamint megváltozik az arckontúr: a billenés oldalán rövidebb és egyenesebb lesz (17. kép).

A fej-nyak régióra gyakorolt hatás:

• A fej a rotációs oldal irányába billen. A balra rotált és billent állkapocs a fogak érintkezése miatt az idővel létrejövő jobboldali elongációt igyekszik kompenzálni egy balra billent fejtartással. A bal oldalon izomkonstrikciót is eredményez az állkapocs alatti és a nyaki régióban lévő izomzatban is, a billenés oldalán. (Ezért érdemes a fotózás során a NHP (Natural Head Position) fotóprotokoll szerint készíteni az arcképeket.). A rotációval ellentétes oldal irányába megfigyelhető a fejfordítás korlátozottsága, amelyet az izmok aszimmetrikus spazmusa és a nyakcsigolyák egymáson való rotációja okoz;

• A protrudált nagymetszők a fogérintkezést előretolt állapotban teszik lehetővé. Ez a mandibula előre, később felfelé irányuló rotációját vonja maga után, amit a fej előretolása követ az izomaktivitások miatt (18. kép). A fej előretolását a fej leszegése, majd a 6-7. nyakcsigolyák egymáson való elcsúszása követ.

Pótlásra, fogászati beavatkozásra gyakorolt hatás:

• A héjak leeshetnek az aszimmetrikusan működő erők miatt;

• A koronákról lepattanhat a kerámia;

• A cirkon munkák eltörhetnek a fellépő nyíró erők miatt;

• A parodoncium megterhelődik, tasakok alakulhatnak ki, fogak mozdulhatnak ki;

• A migráció, a selfortho mozgás megindul;

• Az implantátum kimozdulhat;

• A parodontális műtétek sikerrátája csökken;

• Ínyrecesszió jelenik meg;

• Instabil orthodonciai eredményt kapunk.

Általános tünetek:

• Megindul a selfortho mozgás;

• Gnathológiai problémák lépnek fel;

• Fejfájás, izomspazmus tapasztalható az aszimmetrikus izomspazmusok miatt;

• Gyomorsavasodás;

• Kettős látás;

• Fülzúgás, -csöngés;

• Levegő kapacitási elégtelenség.

A forszírozott, kényszerített állkapocs pozíció test-szerte izomspazmust okoz. A FOP-ban kialakított fogászati munka a beragasztás után is problémát okoz a lepattanások miatt, a kényelmetlensége miatt, továbbá az izmokban lévő feszültség és a kényszertartás miatt. A kiegyensúlyozatlan harapás tünetei nemcsak a rágóizomzatban, az arcon, a nyak- és vállizmoknál figyelhetőek meg, hanem végigkövethetőek egészen a talpig. Ez az ún. negatív kaszkád effekt, amely a helytelen fogérintkezés és a forszírozott, kényszerített okklúzió miatt alakul ki a testben. Az aszimmetrikus izomerők átadódnak a nyak, a vállöv, a törzs, a végtagok izmainak, és ez által átrendezik a testtartás, aszimmetrikusan terhelik az ízületeket.

Kiegyensúlyozott harapásról, okklúzióról a Smylist Módszer értelmében mindenképpen csak akkor beszélhetünk, ha izomegyensúly van. Az izomegyensúly kialakítása stabilizátorokkal és deprogramálással lehetséges, addig semmilyen bemérés, támasztócsapos regisztrátum alkalmazása a végleges pótláshoz nem javasolt, mert a helyreállítás során az egyedi, évek óta fennálló, aszimmetrikus izomműködést mérjük be és konzerváljuk a továbbiakban. A kétoldali izomszimmetria által biztosított (deprogramált, sín-, stabilizátor terápián átesett páciens esetén) állkapocs-pozícióban javasolt az alsó-felső fogívek relációjának megtartása, majd ebben a pozícióban a fogak felállítása, kialakítása. Ezzel a látásmóddal a fogérintkezést a test izomhálózatában harmonikusan elhelyezkedő állkapocs kényelmi pozíciójában lehet kivitelezni. Ez biztosítja a későbbiekben a fogak stabil elhelyezkedését, és a selfortho mozgások elkerülését. Komplex szemlélettel megérthető, hogy az állkapocs a test izomhálójában, egy élő és érzékenyen reagáló szervezetben elhelyezkedő szervrendszer, amelyben a fogak foglalnak helyet. A fogak funkcionális kialakítását ennek tudatában ajánlott elvégezni.

24 e-Journal DENTAL HÍREK
18. kép: Előretolt fejállás.

MI Diagnosztika

Új dimenzió a CBCT, a fogászati röntgenek és a kefalometriai felvételek diagnosztikájában a MESTERSÉGES

INTELLIGENCIA erejével csak a VIP DENTALBAN!

Dentális státusz elemzése mesterséges intelligencia által CBCT felvételen.

Panorámaröntgen elemzése mesterséges intelligencia által.

Kefalometriai elemzés és pontbejelölés mesterséges intelligencia által.

Legyen az Ön rendelője a fogászati ellátás innovatív központja, és velünk együtt biztosítsa a legmagasabb szintű diagnosztikai szolgáltatást az MI által támogatott elemzésünkkel.

Budán, Pesten, Székesfehérváron, Debrecenben www.vipdental.hu info@vipdental.hu
0613361168
4,8-as átlag Tel:

Dr. Kivovics Péter, Székelyhidi Éva, dr. Németh Orsolya

A MAGYARORSZÁGI

FOGORVOSLÁST ÉRINTŐ ÉS

BEFOLYÁSOLÓ ADATOK

VÁLTOZÁSÁNAK TENDENCIÁI

A Fog- és Szájbetegségek Szakirányban tevékenykedő szakfelügyeletnek időről időre át kell tekintenie a magyarországi fogorvoslást érintő és befolyásoló adatokat. Részben azért, hogy segítse az egészségügyi tervező munkát és javítsa az ellátás színvonalát, részben azért, hogy észrevegye és magyarázatot találjon az adatok változásának tendenciáira.

Az első és legfontosabb adat a fogorvosszám, ezen belül a működési nyilvántartásba vett fogorvosok számának alakulása, és ennek összevetése a népességgel. 2019ben az aktív fogorvosok száma 7 145 fő volt. Ez 2020-ra 6 578 főre csökkent. (1. ábra)

1. ábra: Aktív fogorvosok száma.

A korábbi évek számait figyelembe véve megfigyelhető bizonyos hullámzás a működési nyilvántartásba vett fogorvosok létszámát tekintve. (2. ábra)

2. ábra: Aktív fogorvosok száma 2011-2018.

Magyarország lakosságának száma a nyilvantarto.hu szerint 9 890 640 (férfi: 4 771 677, nő: 5 118 963). A Központi Statisztikai Hivatal szerint Magyarország népessége 9,7 millió fő. A cia.gov 2021. júliusi adatai szerint hazánk lakossága 9 728 337 fő. Az ebből adódó egy fogorvosra eső népesség száma 1 474 fő, kerekítve 1 500 fő. Az arány a WHO beosztás szerint jó, de ezt a kedvező számot negatívan befolyásolja a fogászati turizmusban

résztvevő fogorvosok kiesése a belföldi fogászati-szájsebészeti ellátásból. A területi elhelyezkedés és a „fogászati turizmus enklávé” jelenség miatt az egy fogorvosra eső populáció 2 000 fő fölé emelkedhet területenként. (3. ábra)

3.

Nem hagyhatjuk figyelmen kívül a Magyarországra érkező és távozó fogorvosok számát sem. 2018-ban a Magyarországon regisztrált fogorvosok közel 10%-a külföldön kiállított fogorvosi diplomával rendelkezett. Ugyanebben az évben a regisztrált fogorvosok körülbelül 20%a nem Magyarországon született. 2013 és 2018 között a szakképesítésüket külföldön elismertetni kívánó fogorvosok számára 1 484 hatósági bizonyítványt állítottak ki. Kiemelkedik az igénylők közül a 25-29 és 30-34 éves korcsoport, amely azért fontos információ, mert a fogorvosok korcsoport megoszlását tekintve ez a két korosztály jelentős fogorvosszámot képvisel. A 25-29 évesek korcsoportja 13,26%-a, a 30-34 éves korcsoportja 13,82%-a az alapnyilvántartásban szereplő fogorvosoknak, azaz a két korosztály együtt több mint egynegyedét teszi ki az alapnyilvántartásban szereplő fogorvosok számának. A 70 év feletti fogorvosok száma is kiemelkedő, 15,70%. (4. ábra)

A következő években aktív praktizálásuk megszűnésére lehet számítani, ami a fogorvos/páciens arányt is befolyásolhatja. A fogorvosok nemek szerinti megoszlása: férfiak 34%, nők 66%. Ez összehasonlítva a nemzetközi adatokkal, nem mutat jelentős eltérést az internacionális trendektől.

26 e-Journal DENTAL HÍREK
ábra: Fogorvosok száma 10 000 lakosra vetítve megyénként.

4. ábra: Alapnyilvántartásban szereplő fogorvosok száma korcsoportos megoszlása 2018.

A fogorvosi végzettséggel megszerezhető szakképesítések tekintetében minden európai uniós ország saját hatáskörében dönt. A különböző szakvizsgákkal rendelkező fogorvosok számai közül kiemelkedik a konzerváló fogászati és fogpótlástan szakvizsgával rendelkezők száma. A 2020 évi adatok szerint 3 904 fő rendelkezik aktív működési nyilvántartással. Ez jelentősen módosulni nem fog, mivel ennek a szakvizsgának a megszerzését rendeletileg megszüntették. Ezt követi a fogszabályozó (558 fő) és a dentoalveolaris sebész (557 fő) szakorvosi vizsgával rendelkezők száma. (5. ábra)

5. ábra: Szakképesítések 2019-2020.

Az Európai Unióhoz való csatlakozásunk előtti időszakban szinte minden fogorvos letette a fog- és szájbetegségek szakorvosa vizsgát. Ennek az volt az oka, hogy így a közalkalmazotti jogviszonyban álló fogorvos „fizetési kategóriát ugrott”, azaz magasabb fizetési kategóriába került. Maga a vizsga kisebb követelményt állított, mint az egyetem befejezésekor abszolvált államvizsga. Jelenleg az európai uniós országokban – már ahol vannak a fogorvosi szakképesítésen belül szakvizsgák – a fogorvosok 5-15%-a rendelkezik valamilyen szakvizsgával. Ehhez hasonló arány fog beállni Magyarországon is.

Érdekes adat, hogy a fog- és szájbetegségek szakorvosa és a konzerváló fogászat fogpótlástan szakorvosa szakvizsgával rendelkező működési nyilvántartásban szereplő fogorvosok száma – a 2019 és 2020 évi adatokat összehasonlítva – 15,1%-kal (694 fővel) csökkent. Ez egyértelműen az úgynevezett nagy létszámú évfolyamok munkából való kiállásával magyarázható. Jelentős csökkenést találunk még a gyermekfogászat szakvizsgá -

6. ábra: Szakorvosok számának változása 2019-2020.

val rendelkezők számában (18,1%, 49 fő). Nem elhanyagolható a fogszabályzó szakorvosok számának csökkenése sem (7,3%, 44 fő). (6. ábra)

Fontos kérdés a főiskolai szintű képzésen oklevelet szerzett (BSc.) dentálhigiénikusok száma. A dentálhigiénikusi főiskolai képzés a Szegedi Tudományegyetemen 2014ben indult el, 2020. december 31-ig 55 hallgató államvizsgázott sikeresen a szakon. Jól megfigyelhető, hogy az oklevelet szerzett dentálhigiénikusok kevesebb mint egyharmada szerzett működési engedélyt. Bár a képzettek száma 2019 és 2020 között mintegy megduplázódott, működési engedélyt csak kevesebb mint egyharmada igényelt. (7. ábra)

7. ábra: BSc. Dentálhigiénikusok száma 2019-2020.

Az OKJ végzettségű klinikai fogászati higiénikusok száma Magyarországon jelentős, 2019-ben 4821 fő, 2020-ban 5217 fő. Működési nyilvántartásba – arányait tekintve –jóval többen jelentkeztek be, mint a BSc. dentálhigiénikusok. Mind 2019-ben, mind 2020-ban az OKJ végzettségű klinikai fogászati higiénikusok mintegy kétharmada igényelte a működési nyilvántartásba vételt . (8. ábra)

8. ábra: OKJ végzettségű klinikai fogászati higiénikusok száma 2019-2020.

27 VII. ÉVFOLYAM – 2024. 3. SZÁM

A fogászati asszisztens végzettségű szakdolgozók száma 2019-ben 13 520, 2020-ban 14 244 fő volt. Ebből 2019ben 5 348 fő, 2020-ban 5431 fő rendelkezett aktív működési nyilvántartással. Azért érdekes ez a szám, mert közben az aktív fogorvosok száma csökkenő tendenciát mutat. Az egy fogorvos, egy asszisztens arány eltolódott az 1 fogorvosra, 0,82 asszisztens statisztikai arányra. Ez arányaiban kedvezőbb, mint a 2019-es adat, ahol 1 fogorvosra 0,75 asszisztens jutott statisztikailag (9. ábra).

9. ábra: Fogászati asszisztensek száma 2019-2020.

Összefoglalva: a magyaroroszági fogászati szakemberképzés megfelelő mennyiségű és minőségű fogorvost, dentálhigiénikust, fogászati asszisztenst bocsát a szakma rendelkezésére. A fogorvoslás vezetői és az egészségpolitikusok felelősek azért, hogy ezzel úgy gazdálkodjanak, hogy a lakosság szájüregi egészsége megfelelő színvonalat érjen el, hatékony prevenciós tevékenység alakuljon ki, a kuratív ellátás megfeleljen az európai normáknak. Közleményünkkel szerettünk volna rávilágítani az adatok bemutatásán keresztül bizonyos tendenciák meglétére. Igen fontos és hatékony lépés lenne előre, ha – hasonlóan a medicina más területeihez – megszűnne a fogorvos-asszisztensnő duális ellátási szisztéma, és kiegészülne más, a területen dolgozó, a fogorvos által irányított szakemberrel. Meggyőződésünk, hogy szükség van több főiskolai végzettségű dentálhigiénikusra, prevenciós nővérre, dohányzásról leszoktató szakemberre, dietetikusra stb. Ehhez a fogorvostudományi karokkal rendelkező egyetemeken szükség van szakok indítására, majd a végzettség megszerzése után a szakemberek integrálása a fogorvoslásba.

Szükségesnek tartottuk feltérképezni a klinikai fogászati higiénikusok (OKJ) és dentálhigiénikusok (BSc.) szerepét és helyét a magyarországi fogorvoslásban, ennek eredményei a következők:

A klinikai fogászati higiénikusok/dentálhigiénikusok prevenciós tevékenységét és a szájápolás területén végzett munkáját a fogorvosok, dentálhigiénikusok és fogászati higiénikusok fontosnak ítélik meg, de az OKJ végzettséget a prevenciós, szájápolási és edukációs feladatok ellátására nem tartja elegendőnek a szakmában dolgozók fele. A dentálhigiénikus képzés OKJ és BSc. szinten történő oktatásának és képzésének párhuzamos megtartását a fogorvosok több mint fele nem tartaná meg, és a BSc. végzettséggel rendelkező dentálhigiénikusok pontosan meghatározott kompetenciaszinten történő önálló munkavégzését a szakma szereplői több mint 85%

javasolja, amelyet jelenleg az ide vonatkozó törvények és rendeletek nem tesznek lehetővé. Véleményünk szerint a párhuzamos képzés megtartása és ugyanazon kompetenciaszinten való tartása a jelenlegi oktatási szisztéma egyik kiküszöbölendő hibája. A fogorvoslásban dolgozó szakemberek szerint a BSc. végzettségű dentálhigiénikus a professzionális szájápolás és szájhigiénés edukáció mellett a szűrésekben való részvétellel (81,7%), lokális fluoridálással (80,2%), fogfehérítéssel (80,0%), parodontális státusz felvételével (77,5%), szűrővizsgálatok elvégzésével (71,9%), dohányzásról való leszoktatással (70,2%) és antagonista lenyomat készítésével (69,7%) segíthetik a szakma működését. Mindez a professzionális szájápolás és szájhigiénés edukáció mellett inkább a klasszikus prevenciós feladatokat foglalja magába.

Levonható az a következtetés, hogy helyes irányba mozdul el a magyarországi fogászati szakemberképzés, amikor lehetőséget nyújt a fogorvosi és a fogászati asszisztensi végzettségen kívül olyan szakemberek képzésére, akik részt vehetnek és részt vesznek a betegek dentális edukációjában, továbbá a klinikumban is alkalmazhatóak. Jogos igény a fogorvosok részéről, hogy az a kolléga, aki közvetlenül részt vesz a betegek chairside ellátásában, főiskolai végzettséggel rendelkezzen. Hiba lenne a fogászati prevenciós tevékenységet csupán caries prevenciós tevékenységgé és/vagy parodontális prevenciós tevékenységre szűkíteni. Különösen nagy hiba lenne egy olyan országban, ahol a fej-nyak területen előforduló rosszindulatú daganatok és a daganatmegelőző állapotok olyan – világviszonylatban is kiemelkedő – számban fordulnak elő, mint Magyarországon. A fogászati asszisztenseket, de főképpen a higiénikusokat be kell vonnunk a daganatprevenciós munkába, a daganatszűrések végrehajtásába, és a fej-nyak területen előforduló daganatos betegek pre- és postoperatív ellátásába.

10. ábra: A prevenciós tevékenység megítélése.

Az Egészségügyi Világszervezet globális szájegészségügyi programjában az általános egészség és az életminőség része a száj egészsége, prioritásában a fogszuvasodás, parodontális betegségek és a szájüregi rák áll, továbbá a már kialakult betegségek kezelése helyett a jövőbeni megbetegedések megelőzésére fókuszál. A szájüregi betegségek megelőzésében az egyéni, a szakmai és a közösségi megelőző intézkedés egyaránt hatékonyak. A száj egészsége az általános egészséghez kapcsolódik. Annak ellenére, hogy nagyrészt megelőzhetők a fogszuvasodás, a parodoncium betegségei, a fogvesztés, az ajak és a szájüreg rákos megbetegedései, mégis a

28 e-Journal DENTAL HÍREK

legelterjedtebb, nem fertőző betegségek közé tartoznak, melyek előfordulását és gyakoriságát befolyásolják a társadalmi és gazdasági egyenlőtlenségek, a megelőzés hiánya, továbbá a nem megfelelő finanszírozás, így az orális betegségek közegészségügyi problémát jelentenek a világban.

A DMF-T a legáltalánosabb és legegyszerűbb epidemiológiai és szintetikus indikátor, amivel a kívánt korcsoportok fogazati állapotáról kaphatunk képet. A D (Decayed) a szuvas, M (Missing) a hiányzó és az F (Filled) a tömött fogakat jelöli, a T (permanent Teeth) a maradó fogakra utal. Meg lehet mérni, hogy populáción belül a DMF-T számot, azaz a szuvas, tömött és hiányzó fogak számát. Az országok a DMF-T indexeket 12 éves korban veszik fel, amikor már az összes maradó fog előtört, és a tejfogak már nincsenek jelen. Magyarországon a 12 éves korosztály DMFT indexe (CECDO 2020 adatai alapján) 1,7, és a fogszuvasodás-mentes fogak a 12 éves korosztályban %-ban kifejezve (CECDO 2020 adatai alapján) 24%. 20162017 évben végzett felmérés alapján a 12 éves gyerekek körében a DMFT index 2,32, melyből a DT 1,7, MT 0,09, FT 0,52 (1985-ban 5). A 12 éves gyerekek 11,9%-a szájüregi fájdalom és kényelmetlenség miatt, 40,5%-a fogainak megjelenése miatti okokból kereste fel fogorvosát a szüleivel. 2017-ben a felnőtt lakosság DMFT indexe 25-52 év közötti férfiaknál 11,91, DMFS indexe 24,28. Idősebb életkorban, munkanélküliség esetén magasabbak voltak az értékek. A szuvas fogak átlaga 5,61; a tömött fogak átlaga 5,61; a hiányzó fogak átlaga 3,0. 2018-ban végzett

felmérés alapján a fogyatékkal élő betegek szájegészsége rossz, fogászati ellátásuk nem megoldott, a DMFT index 20,5; a szuvas fogaknál 2,6; a hiányzó fogak esetén 11,2; a tömött fogak esetében 6,7. Fogorvos-látogatási szokásaikat tekintve a betegek többsége 12 hónapnál régebben járt fogorvosnál, fogfájást egy éven belül kevés beteg érzett.

2018-ban az ajak- és szájüregi rák a 15. leggyakoribb daganattípus volt a Nemzetközi Rákkutató Ügynökség (International Agency for Research on Cancer) adatai alapján. Az Egyesült Államokban 2016-ban 45 543 új garat- és szájüregi rákot diagnosztizáltak, 10 170 páciens halt bele a betegségbe. A szájüregi daganatok fő kockázati tényezői között a dohányzás, az alkoholfogyasztás és a bételdiórágás szerepelt. 2017-ben a Nemzeti Rákregiszter adatai alapján az ajak-, nyelvgyök-, nyelv-, fogíny-, szájfenék-, szájpad-, ajak-, szájüreg- és garatdaganatos megbetegedések száma 1542 volt hazánkban, ami az összes ráktípus 2,72%-a az adott évben. 2015ben világszerte a fogászati költségek 356,80 milliárd USD közvetett, és 187,61 milliárd USD közvetlen költséget jelentettek. Amerikában évente 27 millió lakos keresi fel fogorvosát, e betegek szűrése a tanulmány szerint 102,6 millió dollárral csökkenti az egészségügy költségeit. Az egészségügyi szolgáltatás igénybevételének egyik meghatározó tényezője az egészségügyi ellátás elérhetősége, annak távolsága és a szolgáltató finanszírozási státusza. Országon belül a szájüregi egészségügyi ellátás általános lefedettségére kell törekedni. Hazánkban

29 VII. ÉVFOLYAM – 2024. 3. SZÁM
A szövetek gyorsabb regenerálódásáért, minden fogászati eljárás után Gengigel Prof akció! 34 990 Ft helyett MOST CSAK 25 000 Ft DP Hungary Kft. Tel.: 06-30-472-0030 info@dental.hu www.dental.hu
Prof Syringes

11. ábra: Alapellátási és szakellátási rendelések száma 2022.

12. ábra: Alapellátási és szakellátási rendelések száma megyékre és megyeszékhelyekre lebontva 2022.

a közfinanszírozott rendelőkből 3289 alapellátást, 749 szakellátást nyújt. 282 egészségbiztosító által finanszírozott betöltetlen fogorvosi szolgálat nem tudott beteget ellátni 2021 októberében Magyarországon. (11. ábra)

A megelőzés és a korai diagnózis javítja az egészségügyi eredményeket. A preventív szemlélethez hozzátartozik az évenkénti fogorvos-látogatás, mellyel az optimális száj-

Irodalomjegyzék

1. https://net.jogtar.hu/jogszabaly?docid=a1900016.emm letöltés ideje: 2021.06.14

2. szakfelügyelői adatkérés OKFŐ Nyilvántartási és Továbbképzési Főosztály adatbázisából 2021. 05.06

3. https://www.cia.gov/the-world-factbook/countries/hungary/ letöltés ideje 2021.06.03

4. Állami Egészségügyi Ellátóközpont: Beszámoló az egészségügyi ágazati humánerőforrás 2018 évi helyzetéről 2019.07.01.

5. https://www.ksh.hu/nepesseg-es-nepmozgalom letöltés ideje: 2021.06.03

6. Ziller S, Eaton KE, Widström E. The healthcare system and the provision of oral healthcare in European Union member states. Part 1: Germany. Br Dent J. 2015 Feb;218(4):239-44.

7. Pegon-Machat E, Faulks D, Eaton KA, Widström E, Hugues P, Tubert-Jeannin S. The healthcare system and the provision of oral healthcare in EU Member States: France. Br Dent J. 2016 Feb 26;220(4):197-203.

8. Patel R, Eaton KA, Garcia A, Rincon V, Brooks J. An investigation into the numbers of dentists from 19 European Economic Area (EEA) member states currently registered to work in the United

13. ábra: Alapellátási és szakellátási rendelések száma 2022.

egészség fenntartható és megelőzhető a fogszuvasodás, a fogvesztés és a szájüregi rák kialakulása. (12. ábra) A társadalmi-gazdasági helyzet erősen befolyásolja a szájbetegségek prevalenciáját és súlyosságát, így fontos meghatározni országon belül is a térség társadalmi-gazdasági helyzetét, ami feltárja az egyenlőtlenségeket. (13. ábra)

A szakfelügyelet elsődleges feladata a törvények és rendeletek betartása, illetve betartatása. Ugyanilyen fontos az egészségügyi és a szakmai vezetés informálása a magyarországi fogorvoslást érintő adatokról. Közleményünk azt a célt szolgálja, hogy ezek az adatok ismertté váljanak nem csak a szakmai vezetők, hanem minden magyarországi fogorvoslásban érintett számára.

Kingdom and key differences between the practise of dentistry in the UK and their member states of origin. Br Dent J. 2011 Aug 12;211(3):133-7.

9. Kivovics, P. and Csadó, K.: Systems for the Provision of Oral Health Care int he Black See Countries Part 7. Hungary Oral Health and Dental Management int he Black Sea Countries Vol. IX, No. 4 December, 2010. 193-199

10. Balázs P., Bánóczy J., Márton K. és Kivovics P.: Népegészségtani szemlélet a fogorvoslásban Orvosok Lapja V. évf. 2008/9. 17-19

11. Boncz I. (szerk.), Ágoston I. (szerk.), Kovács G. (szerk.), Endrei Dóra (szerk.): Gazdálkodás és menedzsment az egészségügyi intézményekben, 2019 Medicina, Budapest

12. Pourat N, Andersen RM, Marcus M. Assessing the contribution of the dental care delivery system to oral health care disparities. J Public Health Dent. 2015 Winter;75(1):1-9.

13. Ahern, S, Woods, N, Kalmus, O, Birch, S, Listl, S. (2019) Needs-based planning for the oral health workforce - development and application of a simulation model. Human Resources for Health 17(1) old. 55.

30 e-Journal DENTAL HÍREK

Empowering Predictability and Performance in Immediacy

KIZÁRÓLAGOS

alphaimplant.hu powered
TM Launch!
MAGYARORSZÁGI FORGALMAZÓ
by

Dr. Antonello Francesco Pavone, dr. Andrea Bazzucchi, dr. Simone Verardi, dr. Alessandro Rampello, dr. Mario Bazzucchi (Olaszország)

KOMPLEX FOGAZATI REHABILITÁCIÓ

A fogazat „megfiatalítása” láthatatlan fogszabályzó készülékek

segítségével

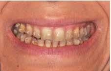
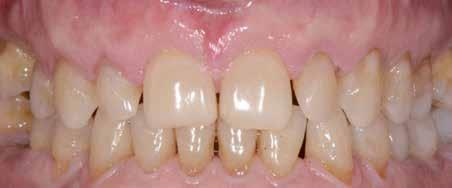
A fogazat elhasználódása alatt azoknak a degeneratív folyamatoknak az összesített hatását értjük, melyeken az élet során a szervezet keresztülmegy. Ezek lehetnek a fogérintkezések közben fellépő mechanikai erők (abrázió, attríció), endogén vagy exogén eredetű savas közegek által kiváltott kémiai behatások (erózió), kariogén baktériumok által okozott pathológiás folyamatok és parodontális elváltozások, valamint iatrogén ártalmak.

A felnőtt páciensek kezelése során általában egyszerre több ellátásra szoruló elváltozást is diagnosztizálhatunk: hiányzó fogak, kopott fogazat, esetleg régi, nem megfelelő, sérült fogpótlások, rendellenes helyzetben lévő fogak stb… Ezen páciensek kezelésekkel kapcsolatos kérései mindig az esztétikai vagy a rágással kapcsolatos kívánságaik kielégítését szolgálja. A kezelések során a fogorvosoknak nem csak a páciensek kéréseinek teljesítésére, hanem ezzel egyidejűleg a fogazat általános megjelenésének és funkciójának lehetőség szerinti javítására is törekedniük kell. Mindemellett a lehető legtöbb saját foganyag megőrzését és az évek során elvesztett kemény- és lágyrészek pótlását (pl.: hiányzó fogak, sorvadt állcsontgerinc, lágyszöveti defektusok) is szem előtt kell tartaniuk, úgy, hogy közben egy hosszú távon fenntartható eredményekkel járó kezelési tervet állítanak össze. Ezek mindig összetett esetek. Annak érdekében, hogy a fentiekben megfogalmazott összes kezelési célt teljesíteni tudjuk, interdiszciplináris megközelítésre van szükség. Az ilyen komplex rehabilitációs kezeléseket „fogászati megfiatalításnak” nevezzük. Ezeknek a beavatkozásoknak lényege az elhasználódott fogazat biológiai szempontokat figyelembe vevő minimál invazív módon történő helyreállításában rejlik, mely folyamat végére a páciensek fogai visszanyerhetik fiatalkori megjelenésüket.

A rehabilitációs kezeléseknek a célja, hogy a páciensek a lehető leghosszabb időn keresztül képesek legyenek mosolyogni és rágni. A protetikai kezeléseket végző fogorvosoknak helyre kell tudni állítaniuk a fogívek szabályos lefutását és az alsó és felső fogív között megfelelő interokkluzális érintkezéseket kell létrehozniuk. Így lehet csak az ellátás befejezését követően elért végeredmény biológiai szempontokat figyelembe vevő esztétikáját, funkcionális megfelelőségét, hosszú távú fenntarthatóságát biztosítani.

Nagyon fontos, hogy már a kezelések elején meghatározzuk, hogy melyek azok a hiányzó fogak, amelyeket a későbbiekben pótolni szeretnénk, valamint helyesen diagnosztizáljuk a kariológiai, endodonciai vagy parodontológiai okok miatt ellátást igénylő elváltozásokat. Szintén kiemelt jelentőséggel bír a fogak megtarthatóságának kiértékelése. A kezelési terv felállítása során tisztában kell lennünk azzal, hogy mely fogak alkalmasak fogpótlások ideiglenes vagy végleges elhorgonyzására.

A preprotetikai fázisban el kell látnunk a diagnosztizálásra került kórfolyamatokat, megfelelő pozícióba kell állítanunk a megtartani kívánt fogakat, pótolnunk kell az elvesztett csontállományt, valamint gondoskodnunk kell az íny megfelelő állapotáról. Ha szükség van rá, úgy a foghiányok pótlására szolgáló dentális implantátumok is ebben a fázisban kerülnek behelyezésre. Általánosságban elmondható, hogy azokat a kezeléseket, amelyek befejezése biológiai okok miatt hosszú időt vesz igénybe (pl.: fogszabályozás, csontpótlás, implantáció), a lehető leghamarabb érdemes elkezdeni.

A fogszabályzó kezelések egyik legfontosabb célja, hogy elérjük a lehető legharmonikusabb interokkluzális fogérintkezéseket, továbbá az állcsont relációs helyzetének frontális és szaggitális síkban is megfelelőnek kell lennie. A fogszabályzás befejezésekor a fogpozícióknak nem orthodonciai, hanem protetikai szempontok szerint kell ideálisnak lenniük. Az Invisalign ClinCheck szoftver (Align Technology) segítségével a protetikus az orthodontussal együtt meg tudja határozni azokat a végső fogpozíciókat, amelyek a lehető legjobb végeredmény biztosításához elengedhetetlenek. Bizonyos klinikai paramétereket, mint a fogak klinikai koronájának nagyságát, az egyes fogak fogíven belüli optimális pozícióját, a fogívek egymáshoz viszonyított helyzetét, a fogak között látható rések nagyságát, a frontfogak tengelyének dőlését, az overjet és overbite mértékét már a kezelések megkezdése előtt pontosan definiálni kell. Ezeket az adatokat viszont csak a tervezett végleges fogpótlás ismeretében lehet meghatározni, ezért van szükség az orthodontus és a protetikus szoros együttműködésére.

A közös munka során az egyik legelső és legfontosabb feladat annak a meghatározása, hogy a páciens jelenlegi maximális interkuszpidációs helyzete (IKP) milyen mértékben tér el az

32 e-Journal DENTAL HÍREK
33 VII. ÉVFOLYAM – 2024. 3. SZÁM
1-4. ábra: Kiindulási állapot. 5. ábra: ClinCheck szoftverrel történő kiértékelés. A kiindulási és az orthodonciai kezelés végén elérni kívánt állapot összehasonlítása. 6-9. ábra: Az orthodonciai kezelés végén elért állapot.

10. a-c. ábra: Módosult passzív erupció jelenlétének diagnosztizálása radiológiai felvételek segítségével (altered eruption radiographic technique; AlteRx).

11. a-b. ábra: A gingivectomia és frenulectomia elvégzését követően látható állapot.

12. a-d. ábra: Az állcsont relációs helyzetét a helyreállítás befejezése után elérni kívánt állapotot bemutató mock-up felhelyezését követően rögzítettük az arcív és a harapási sánc segítségével.

állcsontok centrális relációs helyzetétől (CR). Ezt a helyzetet úgy is leírhatnánk, mint az a legideálisabb állkapocs-ízületi helyzet, amely elérését követően a lehető legkedvezőbb állkapocshelyzetből történhet meg az alsó és felső fogív végleges fogpótlásokkal történő helyreállítása. Ennek a meghatározásakor a frontális és a szaggitális síkban megfigyelhető komponenseket is figyelembe kell venni. Az optimális állcsont relációs helyzetének megállapítása előtt elengedhetetlen az állkapocs-ízület beprogramozása, a rágóizmok lazítása, és

állkapocs-ízületi rendellenességek fennállásának ellenőrzése. Amennyiben állkapocs-ízületi rendellenességeket diagnosztizálunk, úgy először gnatológiai terápiát alkalmazunk, melynek célja a rágóizmok működésének és az állkapocs-ízület egészségének helyreállítása. A komplex rehabilitációs beavatkozások kivitelezésének megtervezését csupán az új, biológiai és funkcionális szempontokból ideális állkapocs-ízületi helyzet elérését követően szabad megkezdeni.

34 e-Journal DENTAL HÍREK

13. a-e. ábra: A végleges helyreállítás során kerámiahéjakat,valamint az 1.5-ös fogon rögzülő 1.4-es fogat pótló lengőtagos hidat készítettünk.

14. a-c ábra: A végleges fogpótlásokat frontális és laterális irányból bemutató felvételek.

Esetbemutatás (1.)

A 48 éves hölgypáciens azzal a szándékkal kereste fel rendelőnket, hogy javítsunk a mosolya megjelenésén. Aggasztotta a fogazatának elhasználódottsága, a rövidnek tűnő fogai, és az oldalsó ollóharapása (1-4. ábra). Az általános anamnézisében nem szerepelt semmilyen betegség vagy allergia. Első lépésként az interokkluzális fogérintkezések javítását és az ollóharapás megszüntetését javasoltuk. A kívánt fogmozgatások eléréséhez alignereket, azaz átlátszó anyagból készült kivehető fogszabályzó sínek alkalmazását terveztük. Az orthodonciai előkészítést követően a rövidebbnek tűnő fogaknak megfelelően gingivectomia, valamint komplex restauratív célú fogazati rehabilitáció elvégzését, azaz a fogainak „megfiatalítását” javasoltuk.

A komplex fogászati kezelés során a kopott fogazat helyreállítása érdekében kismértékben meg akartuk növelni az évek során lecsökkent harapási magasságát. A fogak helyreállítását minimál invazív módszerek alkalmazásával akartuk elérni. Kedvezőbbé akartuk továbbá tenni a front régióban található fogak méretét és színét, valamint meg akartuk erősíteni a szerkezeti integritásukat. A beavatkozások során a lehető legkevesebb egészséges saját foganyagot akartunk feláldozni. Az orthodonciai kezelés során rést akartunk nyitni a hiányzó jobb felső első kisőrlőfog (1.4) pótlásához, valamint meg akartuk szüntetni a jobb felső kismetsző és a jobb alsó szemfognak megfelelő látható ollóharapási helyzetet. Az előbbieken kívül a fogívek tágítását és a fogívek formájának optimalizálását, és az overjet és overbite optimalizálását

terveztük. Ezek mind hozzájárulnak a funkció javításához (5. ábra)

A fogszabályzó kezelés befejezését követően meg kell határoznunk a további beavatkozások elvégzésével elérni kívánt protetikai és esztétikai célokat. A tervezés során minden esetben az orthodonciai kezelés során elért állapotból indulunk ki (6-9. ábra). A módosult passzív erupció jelenlétét AlteRx készülék segítségével igazoltuk. A páciens ínymosolyának kismértékű korrekciója és a felső front régióban található fogak méretének megnövelése érdekében gingivectomiát végeztünk (10. ábra). A gingivectomia kiegészítéseként frenulectomia is történt. A fogméretek incizális irányba történő további növelése érdekében kerámiahéjak készítését terveztük (11. ábra)

A szövetek gyógyulása alatt a rágóizmokban jelenlévő feszülést deprogramozó készülék segítségével megpróbáltuk megszüntetni (Ri.P.A.Ra. linguális ív, IPERMEDI-CAL;). Az állcsont relációs helyzet rögzítését kismértékben megemelt vertikális dimenziók mellett végeztük el. A folyamat során arcívet is alkalmaztunk. Mindkét fogívről lenyomatot vettünk, majd a minták elkészítését követően a gipsz modelleket a harapás alapján artikulátorban rögzítettük. Ezt követően a fogtechnikai laboratóriumban elkészítettük a fogazati rehabilitáció alapjául szolgáló waxupot. A wax-up alapján készült szilikonsablonok segítségével önkötő akrilátból a szájüregen belül elkészítettük a mock-upot. A mock-up lehetővé tette, hogy a tervezett fogpótlások esztétikai megjelenését, a rágózónában létrejövő új okklúziót és a funkcionális elmozdulások során megfigyelhető fogérintkezéseket még a végleges fogpót -

35 VII. ÉVFOLYAM – 2024. 3. SZÁM

16. a-e. ábra: A végleges fogpótlások átadását követően 3

lások elkészítése előtt tesztelhessük (12. ábra) . A páciens fogait a felhelyezett mock-up alapján készítettük elő. A front régióba héjak, a rágózónába pedig onlayek készítését terveztük. A hiányzó 1.4-es fog pótlását egy adhezív módon rögzülő, cirkóniumból készülő, lengőtagos híd segítségével akartuk megvalósítani. A ragasztás során PANAVIA V5 anyagot használtunk (Kuraray Noritake Dental; 13-15. ábra ). A fogpótlások átadását követően a páciensnek egy éjszakai harapásemelő sínt készítettünk. A kontrollvizsgálatok során megállapítottuk, hogy a páciens új okklúziója és a fogazatának esztétikája hosszú távon is stabil maradt (15-20. ábra)

Esetbemutatás (2.)

Az 57 éves páciens azért kereste fel a rendelőnket, mert tökéletes mosolyt szeretett volna elérni. Világos színű, szabályos, fiatalos megjelenésű zárt fogazatot szeretett volna magának (21-24. ábra). A kezeléseket a jobb felső, második kisőrlőfog (1.5) eltávolításával, valamint oki parodontális terápiával, a

bal alsó, második kisőrlő és nagyőrlő (35 és 37) endodonciai kezelésével, továbbá a bal alsó, első nagyőrlőfog pozíciójába történő (3.6) implantátumbehelyezéssel kezdtük. Az implantátum beültetését követően a 3.5-3.7-es fogakon elhorgonyzott, háromtagú ideiglenes hidat készítettünk. Ezután intraorális szkent készítettünk a ClinCheck szoftverrel történő analízis elvégzéséhez (25-26. ábra). A páciens pathológiás nyelési szokásait a FroggyMouth (Froggy & Co.)készülék segítségével korrigáltuk. Az eszközt 21 napon keresztül, napi 20 percen át alkalmazta a páciens. A páciens orthodonciai kezelése során alignereket alkalmaztunk. A kezelés alatt esetenként a Ri.P.A.Ra. készüléket viselte. Ez az eszköz a nyelv kóros pozíciójának megszüntetésében és az alignerekkel történő fogmozgatások hatékonyságának növelésében vett részt. Ennek a készüléknek van egy linguális irányba mutató íves része, amelynek az a feladata, hogy a páciens nyelvét a kemény szájpadlás elülső egyharmadához vezesse. Mivel az eszköz maga szilikonból készült, ezért a mechanikai tulajdonságai lehetővé teszik, hogy a páciens éjszakai fogcsikorgatása ellen hasson. Az eszközt alignerek viselése esetén is könnyen be lehet helyezni, sőt

36 e-Journal DENTAL HÍREK
15. ábra: A végleges fogpótlások átadását követően készített panorámafelvétel. évvel látható állapotot bemutató felvételek.
37 VII. ÉVFOLYAM – 2024. 3. SZÁM 17-20. ábra: A végleges fogpótlások átadását követően 3 évvel készített intraorális és radiológiai felvételek.

az alignerek biomechanikai hatásfokát is nagyban növelik, mivel egy rágható aktivátorként viselkednek (27. ábra)

A fogszabályzó kezelés befejezését követően a jobb alsó, első nagyőrlőfogat (4.6) eltávolítottuk, majd ebbe és a jobb felső, első kisőrlőfog (1.5) pozíciójába egy-egy implantátumot helyeztünk. Ezután a megszokott ellátási protokollunkat követve, szilikon lenyomatanyag alkalmazásával lenyomatott vettünk mindkét fogívről, és arcív segítségével az állcsont relációs helyzetét enyhén megemelt, vertikális harapási magasság mellett rögzítettük. Ezután mintákat készítettünk, amelyek beartikulálását követően elkészítettük a páciens új, fiatalos fogazatának alapjául szolgáló wax-upot.

A leírtak alapján készülő mock-up elengedhetetlen a tervezett fogpótlás funkcionális és esztétikai paramétereinek ellenőrzéséhez. A páciens új mosolyának megfigyelését, valamint a fogak egymáshoz viszonyított arányainak

kontrollálását ennek segítségével könnyen elvégezhetjük. Egyértelműen meg tudjuk állapítani azt is, hogy a tervezett harapásemelés mértéke megfelelő volt-e, valamint, hogy a fogtechnikai laboratóriumban készült viaszterv jelenlegi formájában alkalmas-e a kívánt esztétikai hatás elérésére, megfelel-e a vele szemben támasztott funkcionális elvárásoknak (28-32. ábra) Elsősorban gingivectómiával akartuk a módosult, passzív erupció miatt csökkent fogméretek nagyságát korrigálni. A klinikai koronák nagyságát inkább gingivális irányba terveztük megnövelni, azért, hogy incizális irányba már csak kismértékű emelést kelljen végrehajtani. Ezzel azt akartuk elérni, hogy ne kelljen az overbite nagyságát szükségtelenül megnövelni. Így el tudjuk kerülni a megnövekedett overbiteból származó potenciális veszélyeket. A fogak minimál invazív preparálása után, földpát kerámiából készült héjakkal láttuk el a frontfogakat. A rágózóna ideiglenes fogpótlások-

38 e-Journal DENTAL HÍREK
21-22. ábra: Kiindulási állapot. 23-24. ábra: A kiindulási állapotot bemutató intraorális és radiológiai felvételek.

25-26.

39 VII. ÉVFOLYAM – 2024. 3. SZÁM
ábra: ClinCheck szoftverrel történő kiértékelés. A kiindulási és az orthodonciai kezelés végén elérni kívánt állapot összehasonlítása. 27. ábra: Linguális ívvel ellátott Ri.P.A.Ra. készülék. 28. a-f. ábra: A kivehető fogszabályzó készülék elhorgonyzását biztosító fogakra felhelyezett attachmentekről készült felvételek. 29. a-b. ábra: Az orthodonciai kezelés végén elért állapot. 30. ábra: A mosolygás közben látható fogméretek egymáshoz viszonyított arányainak megtervezése.
40 e-Journal DENTAL HÍREK
31-32. ábra: A tervezett pótlások funkcionális és esztétikai megfelelősségét mock-up segítségével ellenőriztük. 33. a-b ábra: Az esztétikai zónába kerámiahéjakat, míg a rágózónába ideiglenes hidakat és indirekt kompozit restaurátumokat készítettünk.
41 VII. ÉVFOLYAM – 2024. 3. SZÁM
34–35. ábra: A protetikai fázis befejezését követően látható állapot. 36. a-d ábra: A rehabilitáció befejezését követő állapot fenntartása érdekében a páciens esténként Essix retainereket és Ri.P.A.Ra. készüléket viselt.

kal történő ellátását követően a páciens részére Essix retainereket készítettünk, melyeket esténként viselt (33. ábra)

A kezelés befejezéseként a rágózóna végleges fogpótlásokkal történő helyreállítását végeztük el. A páciens fogazatának „megfiatalítása” során, a protetikai fázis alatt megnöveltük a harapási magasságot, és a front fogakat kerámiai héjakkal láttuk el. A rágózónában lévő ép fogakat kerámia onlayekkel, míg az implantátumokat és a 3.5-ös és 3.7-es fogakat cirkóniumból készült koronákkal borítottuk (34-35. ábra). A páciens a fenntartó kezelés részeként esténként Vivera (Align Technology) és Ri.P.A.Ra. készülékeket viselt (36-37. ábra)

Összegzés

A páciensek fogazatának „megfiatalítása” multidiszciplináris megközelítést igényel. A beavatkozások során minimál invazív megközelítést alkalmazunk, és a biológiai szempontok is súlyozottan kerülnek figyelembevételre. Fontos, hogy a páciens fogainak megjelenését csak olyan mértékben változ-

tassuk meg, amely respektálja a páciens biológiai életkorát, és ne egy nyilvánvalóan természetellenes, túlzottan fiatalos mosolyt hozzunk létre. A funkcionális rehabilitáció során a két oldalon kiegyensúlyozott artikuláció létrehozására kell törekednünk, amely lehetővé teszi a szimmetrikus rágómozgások elvégzését. Fontos szempont, hogy egy hosszú távon stabil és fenntartható állapotot hozzunk létre. Annak érdekében, hogy megtaláljuk azt a legoptimálisabb megoldást, amely a lehető legkevesebb kompromisszum árán biztosítja a megfelelő klinikai paramétereket (esztétikai, biológiai, mechanikai és funkcionális szempontok), fontos, hogy a kiindulási diagnózisaink helyesek legyenek. Ezekre fogjuk majd az orthodonciai kezeléseinket alapozni, amely eredményeire pedig majd a protetikai kezelések fognak épülni. Felnőtt páciensek kezelése esetén kiemelt jelentőséggel bír, hogy a fogpozíciók háromdimenziós újrarendezését mindig a végleges protetikai ellátás megkezdése előtt be kell fejezni.

(A cikk megírása során felhasznált szakirodalmi hivatkozások jegyzéke elérhető a szerkesztőségünkben.)

Forrás: Ortho 2021;2 48-61

42 e-Journal DENTAL HÍREK
37. a-f ábra: A végleges fogpótlások átadását követően két évvel látható állapot.

70 FPS

Nincs több vezeték

Vezetékektől mentes, a szkennelés bármilyen szögben kényelmes. Az approximális területek könnyedén, korlátok nélkül szkennelhetők.

Gyors és pontos

Akár 70 FPS szkennelési sebesség. Megtapasztalhatja a Medit legkelendőbb modelljének elképesztően egyenletes és gyors szkennelési teljesítményét. Élvezze az i700w gyors sebességét vezeték nélkül, hibátlanul.

Ügyfélszolgálat

Cégünk személyreszabott kurzusokat, ingyenes ügyfélszolgálatot, távszervizt és cseredarabot kínál felhasználóink számára

Hosszú üzemidő, mégis könnyű Kiemelkedő akkumulátoros üzemidő, a hosszantartó szkennelésekhez az Ön kényelme érdekében.

Erőteljes hardver találkozik a sokoldalú szoftverrel

Kényelemre optimalizálva. Nemcsak hardveres szempontból, hanem szoftveresen is. Az i700w vezeték nélküli szkenner a MEDIT legújabb technológiáit tartalmazza.

9400 Sopron, Faller Jenő u. 5 | Tel.: 99/508-698 | Fax: 99/508-696
| www.dentalplus.hu BCW Irodaház . 1113 Budapest, Nagyszőlős u. 11-15. / I. emelet
bemutatótermünkben előzetes egyeztetés alapján tudjuk fogadni Önöket!)
iroda@dentalplus.hu
(Budapesti

Dr. Alina Lazar (Németország)

A TERMÉSZETES FOGAZAT

FUNKCIÓJÁNAK ÉS ESZTÉTIKÁJÁNAK

HELYREÁLLÍTÁSA HÉJAK SEGÍTSÉGÉVEL

A fogászati kezelések során manapság már nem kizárólag az esztétikai megjelenés helyreállítására törekszünk. Sokszor a kedvezőtlen esztétikai megjelenés hátterében álló okok következményes módon a fogazat funkcionális működését is károsítják, így a kezelések során ezeknek a helyreállításával is foglalkoznunk kell. A különböző funkcionális és esztétikai diszkrepanciák kezelésére számtalan módszer létezik, ám ezen fogászati beavatkozások mindegyikében közös, hogy a kivitelezésük során nagyon szoros együttműködésre van szükség a kezelést végző fogorvos és a munkáját segítő fogtechnikus között. Az alábbi esetbemutatás során egy fiatal hölgypáciens fogazatának héjak alkalmazásával történő esztétikai és funkcionális rehabilitációját szeretnénk ismertetni.

Esetbemutatás

A 19 éves hölgypáciens azzal a kéréssel jelentkezett a rendelőnkbe, hogy szebb fogakat szeretne. Az első konzultáció alkalmával megkérdeztük, hogy mi zavarja leginkább a fogazatának jelenlegi megjelenésében, valamint azt is megbeszéltük vele, hogy milyen végeredmény elérése esetén lenne maradéktalanul elégedett. Ebben az esetben a kezelési célokat az alábbiakban határoztuk meg:

A páciens fogazata esztétikai megjelenésének és funkcionális működésének a lehető legtöbb, saját foganyag megtartása mellett történő helyreállítása (1. és 3. ábra).

A lehető legideálisabb esztétikai végeredmény elérése érdekében néhány esetben a fogak alakjának módosítá -

sára is szükség van (2. és 4. ábra).

A kezelés megtervezése során kifejezett jelentősége van annak, hogy jó kommunikáció legyen a páciens, a fogorvos és a fogtechnikus között. A páciens leendő fogazatának természetes megjelenését a kezelésben részt vevő team szakmai felkészültsége, gyakorlati tapasztalata és a kezelés sikerességének irányába történő elkötelezettsége biztosítja. A beavatkozások megkezdése előtt megtörtént a páciens anamnézisének a felvétele, valamint a klinikai kivizsgálását is elvégeztük. Ezt követően lenyomatokat készítettünk a kiindulási állapotról, majd a kiindulási helyzetet extra- és intraorális fotók segítségével is rögzítettük (13. a-c. ábra).

Mock-up

A kezeléstervezés egyik legfontosabb lépése a mock-up elkészítése. A mock-up alapjául szolgáló wax-up-ot (felviaszolás) is ugyanolyan részletességgel kell a fogtechnikusnak elkészíteni, mintha azok már a végleges fogpótlások alapjául szolgáló mintázatok lennének. A mock-upnak nagyon pontosan kell illeszkednie, valamint a tervezett fogpótlás meg-

44 e-Journal DENTAL HÍREK
1. és 2. ábra: A kiindulási és a befejezést követően látható állapot összehasonlítása extraorális felvételek segítségével.

jelenését is rendkívül élethűen kell reprezentálnia. Ahhoz, hogy a páciens mock-uppal kapcsolatos első benyomásai kedvezőek legyenek, a mock-up színének a páciens „szemfehérjének” színével meg kell egyeznie. A kezelési cél páciens által történő elfogadása és a tervezett eredménnyel kapcsolatos „wow-effektus” kialakulása nagyban függ a páciensben az első megtekintés során kialakult első benyomásoktól.

Az eddigi tapasztalataink szerint a páciensek jelentős többsége egyértelműen kifejezi az elégedettségét, ha a mock-up megfelel az eredeti elképzeléseiknek. A bemutatásra kerülő esetben is ez történt. A tervezett végeredmény megtekintését követően a páciens azonnal kérte az általunk javasolt kezelési tervben ismertetett beavatkozások elvégzését. A héjak alapanyagául az Ivoclar Vivadent által gyártott A1-es színű Telio CS kerámiát javasoltuk. Az anyagválasztás hátterében az állt, hogy ez az anyag nagy keménységgel rendelkezik, valamint az, hogy a felszínét nagy simaságúra lehet polírozni. A páciens rendkívül fiatal életkora is azt a terápiás koncepciót erősítette, hogy a kezelés során lehetőség szerint kizárólag non-invazív beavatkozásokat alkalmazzunk.

A különböző kezelési lehetőségek ismertetése során három eltérő terápiás megoldást vázoltunk fel számára:

• Állcsont-orthopédiai kezelés;

• Kompozittal történő direkt felépítés;

• Non-prep és minimál invazív előkészítést igénylő héjakkal történő ellátás.

A különböző terápiás lehetőségek bemutatása során a kezelésekkel járó lehetséges előnyök és hátrányok is ismertetésre kerültek.

A páciens már kezdetben is rendkívüli érdeklődést mutatott a preparálást nem igénylő (non-prep), héjakkal történő ellátással kapcsolatban. Ennek a terápiás modalitásnak az előnyei közé tartozik, hogy a fogakat egyáltalán nem, vagy csak minimál invazív módon kell preparálni, nincs szükség ideiglenes héjak készítésére, a héjak alapanyagául szolgáló kerámia nem hajlamos az elszíneződésre, nem jellemző a beavatkozások elvégzését követően jelentkező posztoperatív szenzitivitás, valamint hogy ezzel a módszerrel rendkívül kedvező esztétikai végeredményt lehet elérni. A fenti előnyök rendkívül meggyőzően hatottak a páciensre. A döntése során azt is figyelembe vette, hogy amennyiben ezeket a viszonylag költséges restaurátumokat választja, akkor ez a kezelés végösszegét is jelentős mértékben befolyásolja.

A kezelés során az jelentette a legnagyobb kihívást, hogy a héjakkal ellátott fogak élethűen utánozzák a természetes fogazat megjelenését. A fogpótlás színének, valamint a restaurátumok felszíni textúrájának és alakjának harmonikusan kell a páciens arcesztétikájához és karakteréhez illeszkednie. A tényleges protetikai ellátás megkezdése előtt a páciens mosolygás közben látható fogait otthoni fogfehérítés keretei között a kérésének megfelelő A1-es fogszín eléréséig fehérítettük. A fehérítés során a későbbiekben héjakkal ellátásra kerülő fogak színén nem változtattunk. A fogak előkészítése részeként csupán a két felső nagymetsző (1.1,2.1) incizális élét kellett kismértékben redukálni. A többi felső front fog (1.3,1.2,2.2,2.3) nem került preparálásra.

Platinafólia technika

A platinafólia technikát 1896 óta alkalmazzák. Napjainkra az eredeti eljárás már kismértékben módosításra került, de lényegében ugyanazzal a módszerrel történik a platinafóliára készülő koronák és héjak elkészítése. A minimál invazív fogászat egyre szélesebb körben történő elterjedésének köszönhetően ez az eljárás a reneszánszát éli. A pácienseink egyre gyakrabban szeretnék a fogaik alaki, színi vagy helyzeti rendellenességeit a lehető legkisebb saját foganyagveszteség árán korrigáltatni. Az eljárás során 0,025 mm vastag 99,9%-os tisztaságú platinafólia kerül alkalmazásra. Amennyiben a megfelelő technikai háttér és a beavatkozások elvégzéséhez szükséges elméleti és gyakorlati szaktudás is rendelkezésünkre áll, akkor semmi sem állhat az utunkba a pácienseink új mosolyának kialakítása során.

A módszer első lépéseként a gipszből kiöntött csonkokat platinafóliával borítjuk (5. ábra). Az adaptálását követően a felhelyezett fóliát óvatosan eltávolítjuk, felhevítjük, majd ismét visszahelyezzük a csonkokra. Ezt követően történik meg az első kerámiaréteg felvitele (Waschbrand). Az első égetés során csupán egy nagyon vékony réteg kerámia kerül a fólia felszínére (6. ábra). Amikor az égetést követően ezt

45 VII. ÉVFOLYAM – 2024. 3. SZÁM
3. ábra: Kiindulási állapot. 4. ábra: A fogakra helyezett mock-up.

5. ábra: A csonkokra helyezett platinafólia.

6. ábra: A fóliát az első kerámiaégetés során stabilizájuk.

7. ábra: A dentinmassza felhelyezése.

8. ábra: A dentinmassza égetését követően látható állapot.

9. ábra: A korrekciós massza égetését követően látható állapot.

10. ábra: Az elkészült héjak.

a kezdetleges kerámiavázat visszahelyezzük a csonkokra, a kerámia anyagában vékony repedések alakulnak ki. A végleges restaurátum elkészítéséhez szükséges kerámia „köpeny” ekkor áll készen a további kerámiarétegek felvitelére és kiégetésére (opaker réteg, dentin- és zománcmassza felvitele) (7-10. ábra). A készülő fogpótlás végső formai megjelenése rétegenként kerül kialakításra.

A második égetés során szintén csupán egy nagyon vékony réteg transzlucens opalmassza kerül felhelyezésre. A restaurátum formai megjelenésének és a felszíni textúrák kialakítására csak ezt követően kerül sor. A fényégetés során nem alkalmazunk glazúrmasszát. A készre vitel során elérni kívánt, magas fényű polírt kézi eszközök alkalmazásával alakítjuk ki. A restaurátumok végső kidolgozását követően a platinafóliát egy csipesz segítségével óvatosan eltávolítjuk, majd a kifejezetten vékony héjakat a kontroll mintára helyezzük. Ezt követően a pótlások megfelelő illeszkedésén kívül a funkcionális elmozdulások közben kialakuló érintkezéseket és a kontaktpontokat is ellenőrizzük. Az ilyenkor esetlegesen szükségessé váló korrekciók elvégzésére a Ducera® LFC (Dentsply Sirona) kerámiaanyagot használjuk. A kész munka fogorvosi rendelőbe való szállítása előtt kifejezett jelentőséggel bír az elkészült restaurátumok gondos becsomagolása. Az átadni kívánt fogpótlások sérülésmentes szállíthatóságának biztosítása elengedhetetlen az eddigi munkánk védelme szempontjából.

Rendelői fogpróba

A héjak átadását követően kialakuló állapot valósághű módon történő bemutatása érdekében próbapasztát alkalmaztunk (Try-In-Paste; Variolink® Esthetik Try-In-Paste, Ivoclar Vivadent) (11. ábra). A próba során ellenőrizzük a héjak színét, formáját és transzparenciáját. A próbapaszta alkalmazásának egyik lényeges pontja, hogy a paszta színe egyezzen meg a végleges beragasztás során alkalmazni kíván ragasztóanyag színével. A héjak végleges rögzítése során mindig adhezív rendszereket használunk.

Az elkészült héjak törésre való hajlama

A preparálást nem igénylő héjak általában nagyon vékonyak, és sajnálatos módon ebből adódóan a végleges átadásuk előtt történő előkészítés során könnyen eltörhetnek. Csupán a páciensek saját fogain történő végleges rögzítés révén kapják meg azt az alátámasztottságot, amely a végleges töréssel szembeni ellenálló képességüket biztosítja. A fogpróba során a héjakat egyesével a fogakra helyezzük, és ellenőrizzük a pontos illeszkedésüket, valamint az approximális kontaktpontok megfelelőségét. Amenynyiben mindent rendben találtunk, úgy hozzákezdhetünk a héjak adhezív módszerrel történő rögzítéséhez szükséges előkészületek elvégzéséhez. Első lépésként a héjak elhorgonyzásul szolgáló fogak abszolút izolálását követően, meggyőződünk a ragasztási felület leszáríthatóságáról. Ezt követően az adhezív rögzítés során felhasznált fogfelszínt – az alkalmazni kívánt adhezív rendszer gyártói utasításai-

46 e-Journal DENTAL HÍREK

nak megfelelően – előkészítjük (orthofoszforsavval történő savazás, lemosás, szárítás és bond réteggel történő fedés). Ezzel egyidejűleg a ragasztásra kerülő héjak is előkészítésre kerülnek (hidrofolysavval történő savazás, lemosás, szárítás, szilanizálás, bond réteggel történő fedés, és végül az alkalmazni kívánt ragasztóanyag felvitele). Ezután a héjakat a fogak felszínén egyesével pozicionáljuk, majd néhány másodpercen keresztül polimerizációs lámpa segítségével megvilágítjuk. Ezt követően a kifolyó ragasztófelesleget eltávolítjuk, majd elvégezzük a restaurátumok végső polimerizálását. A héjak végleges rögzítését követően az esetlegesen visszamaradt ragasztómaradványok eltávolításra kerülnek, valamint ellenőrizzük az okklúzió és artikuláció közben létrejövő fogérintkezéseket. Az optimális esztétikai eredmény biztosítása érdekében kiemelt jelentősége van a papillák helyreállításának (rózsaszín esztétika). A modern fogorvoslás egyik kiemelt célja a fehér- és rózsaszín esztétika közti harmonikus egyensúly megteremtése. A papillák színe, nagysága és szimmetrikus megjelenése meghatározó szerepet tölt be a rózsaszín esztétika kialakításában. Az íny lefutása ugyancsak rendkívül jelentős mértékben befolyásolja a páciens fogazatának esztétikus megjelenését.

Összefoglalás

Manapság egyre gyakrabban találkozhatunk olyan páciensekkel, akik már a kezelések megkezdése előtt informálódnak a számukra elérhető kezelésekről, és ennek megfelelően jól definiált igényekkel érkeznek a rendelőnkbe. A páciensekkel történő megbeszélések során nagyon fontos, hogy részletesen felvilágosítsuk őket az általuk preferált kezelések előnyeiről és esetleges hátrányairól, valamint szintén

előnyös, ha egyéb terápiás alternatívákat is tudunk kínálni számukra.

A cikkünkben bemutatásra kerülő eset ellátása során preparációt nem igénylő héjak készítése mellett döntöttünk. A héjak készre vitele során a platinafólia technikát alkalmaztuk. Annak ellenére, hogy az elkészítésre kerülő héjak rendkívül vékonyak, és ezáltal a végleges rögzítésük előtt jelentős törésveszéllyel állunk szemben, összességében mégis olyan minimál invazív kezelési eljárásnak számítanak, amely segítségével kifogástalan esztétikai eredményeket lehet elérni. A fent leírtak alapján bátran javasoljuk e módszer alkalmazását.

Forrás: Cosmetic dentistry 2021;4 12-15

48 e-Journal DENTAL HÍREK
11. ábra: A héjak szájüregen belüli próbája. 12. ábra: A wax-up-ról készült felvétel. 13. a–c. ábra: A kezelés befejezését követően készített intraorális felvételek.
YOUR WORLDWIDE NO.1 REFERENCE UNIQUE BIOFUNCTIONALITY OUTSTANDING QUALITY 1,2 > Strictly controlled raw material selection > Cutting-edge production > Quality management of the final product References ISO 13485 certificate, research and development 2 ISO 9001 certificate, multi site quality management www.geistlich-pharma.com/en/about-us/geistlich/ about-geistlich/quality/ FROM A TO Z: THE WHOLE PRODUCT KNOWLEDGE IS IN OUR HANDS alphaimplant.hu More details about our products: www.geistlich-biomaterials.com

Dr.

CÉLZOTT ENDODONCIAI MIKROSEBÉSZET

1. a-n. ábrák: Preoperatív CBCT-felvétel a bal alsó 6-os (3.6) fogról. Az axialis (a), coronalis (b) és sagittalis (c) nézeteken a mezialis és distalis gyökerek apicalis harmada körül sugáráteresztő zóna és ép buccalis corticalis csont látható. Egy olyan sablont terveztünk, amely jelezte a csontablak határait az apicalis terület pontos elérése érdekében (d). A mikrosebészeti bevatkozás során a sablont a helyére illesztettük (e), a csontablak határait megjelöltük (f) egy Piezotome CUBE LED kézi-darabba fogott fűrésszel, majd kivágtuk és eltávolítottuk (g és h) az apicalis területhez történő hozzáférés, illetve a mezialis és distalis gyökerek rezekciójának, retrográd preparációjának és retrográd gyökértömésének elvégzése érdekében (i). Végezetül a csontablakot visszaillesztettük és kollagén szivaccsal stabilizáltuk (j). A műtét után közvetlenül készített röntgenfelvétel a 3.6-os fogról (k). A kétéves kontroll során készített CBCT-felvétel: axialis (l), coronalis (m) és sagittalis (n) nézetek.

A hagyományos sebészeti eljárásokkal összehasonlítva az endodonciai mikrosebészet (endodonctic micro surgery; EMS) alkalmazásával egyre hatékonyabban lehet a különböző periapikális elváltozásokat kezelni. A különböző sebészeti technikák folyamatos fejlődése ellenére, a gyökércsúcs lokalizálása sok esetben még mindig kihívást jelenthet. Ez különösen igaz azokban az esetekben, ahol korlátozott a műtéti területhez való hozzáférés, vagy a gyökércsúcsot vastag, ép buccalis kortikális csont fedi, de akkor is, ha kihívást jelentő anatómiai akadályokkal állunk szemben. Jelen cikk célja egy olyan új műtéti eljárás ismertetése, amely során 3D nyomtatással készült sebészi sablonok segítségével történik meg a – gyökércsúcs feltárása érdekében végzett – csontablak kialakítása.

Bevezetés

A CAD/CAM technológiát és a 3D nyomtatást az 1990-es évek óta alkalmazzák a fogászatban. Ezeket a módszereket eleinte rögzített fogpótlások készítéséhez használták, ám legszélesebb körben a szájsebészetben terjedt el az alkalmazása. A módszert az implantátum-fészkek kialakítását és az implantátumok behelyezését elősegítő sablonok gyártásához használják a leggyakrabban1, 2 napjainkban. A fogászat egyre több területén alkalmazzák – a CBCT készülékek elterjedése óta – a CAD/CAM technológiát és a 3D nyomtatást. Az endodonciában a közelmúltban kezdték el a 3D nyomtatással készülő vezető sablonok felhasználását.1–3

50 e-Journal DENTAL HÍREK
Hugo Sousa Dias, prof. Paula Andrea Villa Machado, dr. Felipe Restrepo (Portugália, Kolumbia)
1a 1b 1c 1d

Az endodonciai kezelések során ezeket a sablonokat a kalcifikálódott gyökércsatornák feltárásához, valamint a rezekciókhoz szükséges csontablakok kialakításához használják. Az endodonciai mikrosebészet lehetőséget biztosít arra, hogy a sikertelen primer, nem sebészi endodonciai kezelés vagy sikertelen újrakezelés után továbbra is fennálló periapikális léziókat kezeljük.2–4

Az elmúlt évek során az endodonciai berendezések, eszközök és anyagok sokat fejlődtek, valamint új technikákat is bevezettek. Az innovációk segítik a gyökércsúcsi régió anatómiájának jobb megértését, és tovább növelik az endodonciai sebészeti beavatkozások sikerességét. Az előbbieknek köszönhetően az EMS egy hatékonyabb kezelési módszerré vált.2, 3, 5

Az endodonciai mikrosebészeti beavatkozások során elengedhetetlen, hogy a csontablak kialakítása célzott módon történjen, valamint az is, hogy a gyökércsúcs-rezekció során tekintettel legyünk a különböző anatómiai viszonyítási pontokra. A műtétek megtervezéséhez röntgen-, illetve CBCT-felvételek szükségesek. Ez az eljárás az operációs mikroszkópok alkalmazásával elérhető nagyításból és megvilágításból, valamint a mikrosebészeti műszerek megfelelő használatából adódó előnyöket kombinálja.1, 3, 5 Ez nagyban növeli a műtéti technika pontosságát és a kiszámíthatóságát, ezáltal jelentősen könynyebb a gyökércsúcsok lokalizálása, valamint a rezekcióelvégzéshez kisebb csontablak és kisebb rezekciós szög alkalmazása is elegendő. Ez lehetővé teszi a corticalis csont megkímélését, és emellett biztosítja a lehető legnagyobb gyökérfelszín, vala-

mint a lehető legtöbb saját foganyag megkímélését.3, 5 Továbbá a fogászati mikroszkópok alkalmazása még a retrográd preparáció és gyökértömés elvégzése előtt lehetővé teszi a különböző finom anatómia struktúrák, mint isthmusok, mikrorepedések, oldalcsatornák és egyéb, a gyökércsatornákra jellemző anatómiai variációk felismerését.

Az endodonciai mikrosebészet fejlődéséből és a modern diagnosztikai eszközök alkalmazásából származó előnyök – a diagnosztikában, a tervezésben és az utánkövetésben használt CBCT felvételek – lehetővé tették a hagyományos módszerekhez képest magasabb sikeresség (85,0–96,8%) elérését.3, 5

Az endodonciai mikrosebészeti beavatkozások kimenetelét befolyásoló prognosztikai tényezők közé soroljuk a kezelésre szoruló fog pozícióját, a kezelendő elváltozás típusát, a retrográd preparáció során alkalmazni kívánt technikát és a választott retrográd tömőanyag, valamint a koronai restauráció típusát.6–8 A műtéti területhez való nehéz hozzáférés, a vastag buccalis csont és a különböző anatómiai akadályok (pl. foramen mentale, nervus alveolaris inferior, sinus maxillaris) jelenléte a beavatkozások kedvezőtlenebb kimenetelét okozhatják.2 A gyökércsúcsot körülvevő csontállományban bekövetkezett sérülés mértéke, valamint a csontablak mérete is hozzájárulhat a különböző posztoperatív szövődmények, például fájdalom és duzzanat kialakulásához. Azokban az esetekben, amikor a buccalis csontlemez még teljesen intakt, a sebészi beavatkozások során általában nagyobb csontablak kerül ki-

51 VII. ÉVFOLYAM – 2024. 3. SZÁM
1e 1g 1h 1i 1j 1k 1f

alakításra, mivel ilyenkor a gyökércsúcs pontos lokalizációja sokkal nehezebb.2, 3, 5

Jelen cikkben leírt esetismertetések segítségével egy olyan korszerű endodonciai mikrosebészeti eljárást szeretnénk bemutatni, amely során 3D nyomtatással készült sablonokat alkalmaztunk a csontablak célzott kialakítása során.

Esetbemutatás (1.)

Egy 63 éves páciens korábban már kezelt bal alsó első nagyőrlőfogából (3.6) eredő mérsékelt fájdalom miatt kereste fel rendelőnket. A kórtörténetében panasza szempontjából releváns információ nem szerepelt. Az elkészült CBCT-felvételen a korábbi kezelések során észre nem vett, jelenleg feltáratlan meziobuccalis csatornát, valamint a mezialis és distalis gyökerek körül kialakult periapicalis elváltozást, és ezt a léziót borító intakt buccalis corticalis csontlemezt láttunk.

A fog revideálását és újbóli gyökértömését két ülésben végeztük el. A régi gyökértömés eltávolítását, valamint mindhárom gyökércsatorna megmunkálását és fertőtlenítését követően kalcium-hidroxid alapú gyógyszeres zárást helyeztünk a gyökércsatornákba. A gyökértömés egy héttel később került behe-

lyezésre. A páciens panaszai két hónap elteltével sem szűntek. Klinikai vizsgálat során vertikális kopogtatási érzékenységet jelzett. A fog körül mérhető szondázási mélység és a fogmobilitás fiziológiás volt. A CBCT-felvételen nem észleltünk a csontos regeneráció megindulására utaló jeleket (1. a–c. ábrák). A korábban gyökérkezelt, gyökértömött és revideált 3.6-os fog esetében az alábbi diagnózis került felállításra: periodontitis periapicalis symptomatica. A panaszokat okozó fog további ellátása során navigált endodonciai mikrosebészetet kívántunk alkalmazni. Az alsó állcsontról intraorális szkent (TRIOS, 3Shape) készítettünk, és a felszíni topográfiát tartalmazó STL fájlt, valamint a CBCT-felvétel készítése során nyert DICOM fájlokat a Blue Sky Bio szoftver segítségével egyesítettük. A sebészi sablon megtervezésére az így kapott háromdimenziós képet használtuk. A sablon kialakítása során arra törekedtünk, hogy a sablon egyértelműen meghatározza a gyökércsúcsi terület eléréséhez szükséges csontablak határait (1. d. ábra)

A beavatkozás során helyi érzéstelenítésben teljes vastagságú mucoperiostealis lebenyt képeztünk, és a sablon segítségével bejelöltük a preparálandó csontablak határait. Az ablak széleinek megfelelően Piezotome CUBE LED kézi-darabbal (ACTEON) a kortikális teljes vastagságában vágást ejtettünk, majd az így kapott csontlemezt (ablakot) eltávolítottuk (1. e–h. ábra), és ezt követően steril fiziológiás sóoldatba helyeztük. A rezekció elvégzését követően (1. i. ábra) a mezialis csatornákat ultrahangos eszközök segítségével (NSK) retrográd irányból preparáltuk, majd az így kialakított mélyedésbe retrográd gyökértömést készítettünk. A tömés anyagául az EndoSequence BC RRM Fast Set Putty-t (Brasseler) választottuk. A tömés elkészítését követően a csontablakot visszaillesztettük, és a stabilizálása érdekében a vágásoknak megfelelően kialakult résekbe kollagén szivacsokat (Collagen Tape, Zimmer Biomet) helyeztünk (1. j-k. ábra). A lebenyt 6/0-s Prolene varratokkal (Corpaul) rögzítettük. A kétéves kontroll során elvégzett klinikai és radiológiai vizsgálat (CBCT-felvétel) a periapicalis elváltozások megszűnését és a corticalis csontállomány tünet- és szövődménymentes gyógyulását igazolta (1. l–n. ábra)

Esetbemutatás (2.)

Egy 38 éves nőbeteg a korábban kezelt jobb felső második kisőrlőfogából (1.5) kiinduló mérsékelt fájdalom miatt jelentkezett rendelésünkön. A kórtörténetében jelen panasza szempontjából releváns információ nem szerepelt. A beteg a klinikai vizsgálat során vertikális kopogtatásra enyhe érzékenységet jelzett. A kérdéses fog körül mérhető szondázási mélység és a fogmobilitás fiziológiás volt. Periapicalis röntgenfelvételen egy, a fog gyökércsúcsán túl presszálódott betört gyökérkezelő műszerből származó eszközfragmentumot láttunk (2. a. ábra). A preoperatív CBCT-felvétel a buccalis csontlemez épségét igazolta (2. b-c. ábra). A fog revíziója öt hónappal korábban történt. A már előzőleg gyökérkezelt, gyökértömött, majd revideált 1.5-ös fog esetében a diagnózisunk periodontitis periapicalis symptomatica volt. A periapikális elváltozás kezelése érdekében navigált endodonciai mikrosebészeti beavatkozást végeztünk.

A felső állcsontról intraorális szkent (TRIOS) készítettünk, és az ezáltal kapott STL fájlt (2. d. ábra) a CBCT-felvétel során nyert DICOM fájlokkal a Zirkonzahn.Implant-Planner (Zirkonzahn) szoftverben egyesítettük. A sebészi sablont ebben a program-

52 e-Journal DENTAL HÍREK
1l 1m 1n

2. a-m. ábrák: Preoperatív röntgenfelvétel (a) és preoperatív CBCT-felvétel a jobb felső 5-ös (1.5) fogról, sagittalis (b) és axialis (c) nézetek. Az intraorális szkennelés során kapott STL-fájl (d). A 1.5-ös fog navigált endodonciai mikrosebészeti beavatkozásához tervezett sablon (e). A 1.5-ös fog navigált endodonciai mikrosebészeti beavatkozásához nyomtatott sablon (f). Teljes vastagságú mucoperiostealis lebenyt emeltünk (g). A sablont a helyére illesztettük, és a csontablak határait jelöltük (h). A fog gyökerén kívül eső, betört eszköz a 1.5-ös fog periapicalis régiójában (i). Az eltávolított betört eszköz (j). A rezekció, retrográd preparáció és a TotalFill BC RRM Fast Set Putty anyaggal elkészített retrográd gyökértömés utáni röntgenfelvétel (k). A lebenyt varratokkal rögzítettük (l). A kétéves kontroll során készített röntgenfelvétel (m).

ban megterveztük, majd a Meshmixer (Autodesk) szoftver segítségével tovább módosítottuk. Az így kapott sebészi sablon egyértelműen meghatározta a periapikális terület eléréséhez szükséges csontablak határait (2. e-f. ábra)

Helyi érzéstelenítést követően teljes vastagságú mucoperiostealis lebenyt képeztünk, majd a buccalis csont feltárását követően (2. g. ábra) a sablon segítségével bejelöltük a preparálandó csontablak határait (2. h. ábra). A csontablak kialakítása során Piezotome CUBE LED kézi-darabot alkalmaztunk, majd a leemelését követően a betört eszközt megkerestük (2. i. ábra) és eltávolítottuk (2. j. ábra). A rezekciót ultrahangos megmunkáló fejekkel (ACTEON) végeztük, majd retrográd preparáció következett. A retrográd gyökértömés elkészítése során TotalFill BC RRM Fast Set Putty-t (FKG) használtunk (2. k. ábra). A lebeny széleit 5/0-s Prolene varratokkal egyesítettük (2. l. ábra). A varratok a műtétet követően 72 órával kerültek eltávolításra. A beteg két évvel később kontrollröntgen készítése céljából érkezett rendelőnkbe. A vizsgálat során a fog tünetmentesnek és funkcióképesnek bizonyult (2. m. ábra).

Megbeszélés

A 3D nyomtatás endodonciai célú alkalmazása magában foglalja sebészi sablonok készítését, navigált endodonciai hozzáférés kialakítását, de az autogén transzplantációk, oktatási modellek és klinikai szimulációk során is megmutatkozik a relevanciája. Ez a módszer egy megalapozott kezelési lehetőséggé vált a fogászatban.1, 9 Bár a szakirodalom még mindig csak esetismertetésekre és preklinikai vizsgálatokra korlátozódik, a navigált sebészet a hagyományos módszerekkel összehasonlítva jóval pontosabbnak és sikeresebbnek tűnik.1, 10 A sebészi sablonok endodonciai célú használatát Pinsky és mtsai. javasolták először. Véleményük szerint ezáltal sokkal pontosabban és jóval konzisztensebb módon lehet a gyökércsúcsokat lokalizálni. Egy preklinikai vizsgálatban a sebészi sablonok segítségével kialakított csontablakok és a gyökércsúcsok között mért átlagos távolság átlagosan 0,79 mm-rel (± 0,33 SD) tért el a tervezettől, míg a szabad kézzel kialakított csontablakok esetében ugyanez az átlagos távolság 2,27 mm-nek mutatkozott (± 1,46 SD).4

53 VII. ÉVFOLYAM – 2024. 3. SZÁM
2a 2b 2c 2d

Az utóbbi időben olyan esetismertetések is elérhetővé váltak, amelyekben bizonyították, hogy a 3D nyomtatás hatékonyan képes támogatni a front és a rágó zónában található fogak ellátása során alkalmazott periapicalis sebészeti beavatkozásokat.2, 3, 11–13 A navigáció hatékonyan segíti a csontablakok kialakítását, és megkönnyíti a gyökércsúcsok lokalizációját. Ezáltal jelentős mértékben csökken a közelben található fontos anatómiai struktúrák sérülésének az esélye. Emellett lehetővé teszi a periapicalis térbe került gyökértömő anyagok pontos lokalizálását és eltávolítását.2, 9, 14

A periapicalis sebészetben Khoury és Hensher vezette be 1987ben a corticalis csontablak technikát (a csontablak visszahelyezése, „lid approach”). Ez a módszer lehetővé teszi az apicalis régió könnyebb megközelítését, és jobb rálátást biztosít a műtéti területre, továbbá ezáltal a periapicalis elváltozások felkutatása is sokkal könnyebbé válik. Előnye még az is, hogy alkalmazásával elkerülhetjük a nagyméretű csontdefektusok kialakulását.15 Bár az endodonciai mikrosebészet egy egyre kiszámíthatóbb és megbízhatóbb kezelési lehetőséggé vált, még mindig szembesülhetünk jelentős kihívást jelentő helyzetekkel. A moláris fogak gyökereinek rezekciója, vagy azoknak az eseteknek az ellátása, amikor a rezekálandó gyökér nagyon közel helyezkedik el olyan anatómiai struktúrákhoz – mint a szomszédos fogak gyökerei, a nervus alveolaris inferior, a foramen mentale, a sinus maxillaris,

az arteria palatina major –, továbbra is kritikus beavatkozásnak számítanak. 1, 2, 11, 16

A sebészi sablonok ezekben az esetekben különösen hasznosnak bizonyulhatnak: csökkentik az iatrogén sérülések kockázatát, továbbá elősegítik egy előre meghatározható átmérőjű, elhelyezkedésű és mélységű csontablak kialakítását.11, 12

Az endodonciai sebészeti beavatkozások sikeressége a gyökércsatorna-rendszer apikális oldalán kialakított bakteriális zárás minőségétől és a periapikális léziót határoló csontdefektus nagyságától függ.16 Következésképpen a csontablak kiterjedése „legyen olyan kisméretű, amennyire csak lehetséges, de emellett olyan nagyságú, amilyen mértékben az megalapozottan szükséges”. A beavatkozás sikerességének szempontjából ennek a kettős elvárásnak kiemelt jelentősége van. Klinikai kutatásokban bizonyították, hogy a csontablak méretének nagysága és a defektus gyógyulásának sebessége között direkt összefüggés van: minél kisebb a csontablak, annál hamarabb megy végbe a gyógyulás.5 A kevesebb gyakorlati tapasztalattal rendelkező fogorvosok általában nagyobb méretű csontablakokat preparálnak.2, 16 A szabad kézzel történő csontablak kialakítása során a csontablak pozíciója – emberi hiba miatt – eltérhet az ideálistól, ilyenkor óhatatlanul az ép, egyébként megtartható csontszövet is eltávolításra kerül.1

Szakmai egyetértés van a navigált sebészet alkalmazásából származó előnyökről. A digitális visszafelé tervezés („backward planning”) leegyszerűsíti a sebészi beavatkozások kivitelezését, lerövidíti a műtéti időt, növeli a pontosságot, továbbá csökkenti a posztoperatív szövődmények kialakulásának a kockázatát.9, 14, 17 A navigált sebészet a kevésbé gyakorlott klinikusok számára is lehetővé teszi a komplikáltabb esetek ellátását. A módszer segítségével a kisebb sebészeti jártassággal rendelkező fogorvosok is előre jól kiszámítható eredményeket tudnak elérni.9, 14 Ennek a módszernek az alkalmazása azonban megköveteli a megfelelő technikai szakértelmet, amely jelentős részét a műtéti tervezés folyamatának elsajátítása jelenti.1, 11 A nyomtatott tárgyak pontossága nem csak a 3D nyomtató paramétereitől függ. Ezt a CBCT-felvétel és az intraorális szkennelés során készült felvételek minősége, és a tervező, valamint CAD szoftverek is jelentős mértékben befolyásolják.1 A felvételek elkészítése, feldolgozása, valamint a gyártás folyamata során is előfordulhatnak apróbb pontatlansági hibák.19 A technika sikeres alkalmazásához elengedhetetlen az erre alkalmas esetek megfelelő megválasztása, valamint a sablonok körültekintő megtervezése. A fém restaurátumok jelenléte például jelentős szórást eredményezhet a CBCT-felvételeken, és ezáltal a CBCT-felvételek és szkennelt modellek összeillesztése sokkal nehezebbé válhat. 2

54 e-Journal DENTAL HÍREK
2e 2f 2g 2h 2i

Fontos hangsúlyozni, hogy a navigált mikrosebészeti beavatkozások preoperatív tervezése rendkívül időigényes folyamat. Arra számítunk, hogy a digitális munkafolyamatok gördülékenyebbé válását követően az ehhez szükséges idő jelentős mértékben csökken.12

Az EMS végzéséhez szükséges eszközök, valamint a fájlok egyesítéséhez és a sablonok megtervezéséhez, majd 3D nyomtatásához alkalmas szoftverek beszerzése jelentős mértékben növelheti a beavatkozás elvégzésének költségeit is.1, 11 Ennek következtében a hagyományos módszerekhez képest sokkal nagyobb költségszinttel számolhatunk.11, 18, 19 A lehető legtöbb corticalis csont és a saját foganyag megőrzésének lehetősége a technika segítségével olyan egyedi előnynek tekinthető, mely megfelelő módon igazolhatja a beavatkozás elvégzéséhez szükséges hosz

Következtetések

A jelenleg elérhető eredmények alapján a navigált endodonciai sebészet egy jelentős potenciállal rendelkező módszernek tűnik. A sebészi beavatkozás sokkal egyszerűbbé és hatékonyabbá válik. Alkalmazásával minimalizálható a csontablak mérete, és a módszer jelentős mértékben megkönnyíti a gyökércsúcsok lokalizálását az ép buccalis csontlemez alatt, vagy az anatómiai struktúrák közelsége esetén. A beavatkozás során a lágy- és keményszöveti károsodás mértéke minimális, és az iatrogén ártalmak kialakulásának az esélye is sokkal kisebb. A klinikai alkalmazhatóság további alátámasztása érdekében azonban még további kutatások és vizsgálatok elvégzése szükséges.

Forrás: Roots 2021; 3 24–29

(A cikk készítése során felhasznált irodalom a szerkesztőségünkben megtalálható.)

Dolgozz velünk digitálisan !

Több mint 30 éves szakmai tapasztalat

Minden ami 3D nyomtatás

Az általunk vagy az Ön által tervezett vázakat, lemezeket 3D nyomtatással készítjük el !

CoCr és Ti 3D nyomtatása

Teljeskörű support Precíziós utómunkálat

Minden ami virtuális tervezés

Küldje el a lenyomtatot akár intraoral scan formájában és mi megtervezzük illetve legyártjuk a kívánt fogpótlást !

cirkónium-dioxid, PEEK, lítium-diszilikát, PMMA, kompozit

Minőség, pontosság, szakértelem. A fogtechnikai újdonságok úttörői !

55 VII. ÉVFOLYAM – 2024. 3. SZÁM
2j 2k 2l 2m
www.dentarttechnik.hu labor@dentarttechnik hu +36 30 682 3827 dentarttechnik

Dr. Jenner Argueta, dr. Benjamín Rodríguez (Guatemala)

A KALCIUM-SZILIKÁT ALAPÚ ANYAGOK ENDODONCIAI CÉLÚ

FELHASZNÁLÁSÁNAK LEHETŐSÉGEI

1. a–g. ábrák: A direkt pulpasapkázás lépései. Kiindulási bitewing-felvétel: A meglévő restaurátum közel helyezkedett el a pulpakamrához (a). Kiindulási periapicalis felvétel: Nincs periapicalis elváltozás fennállására utaló jel (b). A pulpaexpozíció (c). A vérzéscsillapítás céljából 20 másodpercen keresztül steril vattagombóccal történő kompressziót követően látható pulpaseb (d). A pulpasapkázás céljából behelyezett anyag, a széli részek tisztázása előtt készült felvétel (e). A röntgenárnyékot nem adó ideiglenes tömés behelyezése után készült felvétel (f). Az első ülés végén a röntgenárnyékot nem adó ideiglenes töméssel ellátott fogról készített röntgenfelvétel (g).

Bevezetés

A gyökércsatorna-rendszer fertőtlenítésének és megfelelő lezárásának kiemelt jelentősége van az endodonciai sikeresség szempontjából. A gyökércsatorna-rendszer komplexitása és a benne található anatómiai variációk sokszor jelentős kihívást jelenthetnek a gyökértömések elkészítése során a klinikusok számára. Ez is azt igazolja, hogy a megfelelő gyökértömő anyag kiválasztása kiemelt jelentőséggel rendelkezik.1 A kalcium-szilikát alapú gyökértömő anyagok a kerámiák azon csoportjába tartoznak, amelyek jelentős mértékben hasonlítanak az emberi szervezetben található hidroxilapatithoz, és ennek a tulajdonságuknak köszönhetően képesek jó bakteriális zárás biztosítására.2 Az egyik nagy előnyük a kiváló biokompatibilitásukból származik. A kalcium-foszfát tartalmuk megakadályozza a kilökődést provokáló sejtválasz kialakulását, valamint ennek köszönhetően jelentősen

javultak a biokémiai tulajdonságaik. A csontokban és a dentinben található apatithoz hasonló kristályos szerkezettel rendelkeznek.3

A kalcium-szilikát alapú anyagok összetevői közé tartozik az alumínium-oxid, a cirkónium-dioxid, a bioaktív üveg, az üvegkerámiák, a hidroxilapatit és a felszívódó kalcium-foszfátok.4 Az egyik legsikeresebben alkalmazott bioaktív anyagot, az ásványi trioxid aggregátumot (mineral trioxide aggregate, MTA) dr. Mahmoud Torabinejad az 1990-es években fejlesztette ki az Egyesült Államokban található, Loma Linda Egyetemen. Az elmúlt évek tapasztalatai alapján az MTA kitűnő lezárást biztosít, bioaktív, biokompatibilis és hidroxidionok felszabadítása miatt a környező szövetekben megemelkedett pH értéknek köszönhetően kiváló antibakteriális hatással is rendelkezik.5 A különböző típusú kalcium-szilikát alapú anyagokra is egyaránt jellemzőek az előbbiekben felsorolt tulajdonságok. Ezek az anyagok többféle konzisztenciában és kiszerelésben is elérhetőek. Az anyagválasztást mindig az adott klinikai szituáció befolyásolja. Indikációs területeik közé tartozik a direkt pulpasapká-

56 e-Journal DENTAL HÍREK

2. ábra: A hat hónapos kontroll alkalmával készített röntgenfelvételen vastag dentinhíd látható a pulpasapkázó anyag alatt.

3. ábra: A hároméves kontroll alkalmával készített röntgenfelvételen megfigyelhető a restaurátum pontos illeszkedése.

4. ábra: A direkt pulpasapkázás lépéseit bemutató videó (https://youtu.be/bfBksF35IjY).

5. ábra: A kalcium-szilikát alapú sealerek klinikai alkalmazását bemutató videó (https://youtu.be/h3p1mZlNUzM).

zás, csontdefektusok zárása, gyökértömések és retrográd gyökértömések elkészítése, perforációzárás, regeneratív endodonciai beavatkozások és reszorpció miatt kialakult defektusok ellátása.6

Direkt pulpasapkázás

Ha a kialakult pulpasebek ellátatlanul maradnak, először irreverzibilis pulpitis, majd pulpanecrosis fog bekövetkezni.7 Ennek megfelelően amennyiben a beavatkozásokat végző orvos nem kívánja a még élő pulpát eltávolítani (pulpectomia, exstirpáció), úgy a direkt pulpasapkázás számít a megfelelő terápiás választásnak. Ez különösen igaz a fiatal páciensek maradó fogainak esetében.8 A jelenleg elérhető – főleg sűrű konzisztenciájú – biokerámiák alkalmasak az ez

irányú felhasználásra. Ezek az anyagok azáltal képesek a dentinhez kötődni, hogy felszínen egy új hidroxilapatit réteget alakítanak ki. Ez annak köszönhetően, hogy az exponálódott pulpasebek közelében serkenteni tudják a sejtek toborzását és differenciálódását.9 Az MTA-hoz hasonló antibakteriális tulajdonságokkal is rendelkeznek a főbb kariogén baktériumokkal szemben (Streptococcus mutans, lactobacillusokkal),10 továbbá megfelelő a biokompatibilitásuk, és képesek reparatív dentinhidak képződését előidézni.

Esetbemutatás (1.)

Egy 35-éves férfi beteg akut ellátás céljából kereste fel rendelőnket. A jobb felső második kisőrlő (15) fogát érő hideg inge-

6. a–d. ábrák: A bal alsó második nagyőrlőfogon (3.7) kialakított konzervatív hozzáférési nyíláson keresztül végzett endodonciai kezelés lépései. A mezialis gyökér jelentős mértékben görbült. A gyökértömés hidraulikus kondenzációs technikával készült.

57 VII. ÉVFOLYAM – 2024. 3. SZÁM
2 3 4 5

7. a – b. ábrák: A jobb alsó első nagyőrlőfogon (4.6) lévő cirkóniumkoronán keresztül elvégzett endodonciai kezelés. A hozzáférési nyílás kialakítása a lehető legkonzervatívabb módon történt. A gyökértömés hidraulikus kondenzációs technikával készült.

rekre jelentkező, rövid ideig tartó éles fájdalomra panaszkodott. A diagnózisunk reverzibilis pulpitis volt. Periapicalis elváltozás jelenlétét nem vélelmeztük. A fogban lévő amalgámtömés eltávolítása során körülbelül egy 3 mm átmérőjű pulpaseb keletkezett a buccalis pulpaszarvnak megfelelően (1. a–g. ábrák) Mivel nem tapasztaltunk jelentős vérzést, és a diagnózisunk reverzibils pulpitis volt, ezért a direkt pulpasapkázás elvégzése mellett döntöttünk.

A kavitást 2,5%-os nátrium-hipoklorit oldattal fertőtlenítettük, majd sűrű konzisztenciájú kalcium-szilikát alapú anyagot (CeraPutty, Meta Biomed) készítettünk elő a direkt pulpasapkázás elvégzéséhez. Az első kezelés végén röntgenárnyékot nem adó ideiglenes töméssel (NexTemp LC, Meta Biomed) zártuk

8. ábra: Egy konzervatív endodonciai kezelést bemutató videó (https://youtu.be/M87d_Ycitcg).

az üreget annak érdekében, hogy a direkt pulpasapkázásra használt anyag megfelelő pozícióját radiológiailag ellenőrizni tudjuk. A második ülés során kompozit tömőanyagból (Ezfil, Meta Biomed) direkt adhezív restaurátumot készítettünk.

A kezelést követően a beteg tünetmentes volt. A kérdéses fog a kontrollvizsgálatok során végzett szenzibilitástesztekre fiziológiás reakciókat adott. A hat hónapos kontroll alkalmával készített röntgenfelvételen a sérülésnek megfelelően széles dentinhidat észleltünk (2. ábra). A restaurátum a hároméves kontroll során is megfelelőnek bizonyult (3. ábra)

Gyökérkezelés

A gyökércsatorna-rendszer gyökértöméssel való zárása során elengedhetetlen a csatornák mindhárom dimenzióban való kitöltése. Ennek a követelménynek a guttapercha és eugenolalapú sealerek alkalmazásával járó hagyományos obturációs technikák választása esetén rendkívül nehéz eleget tenni, mivel ezekben az esetekben nem alakul ki adhézió a gyökércsatornák falai és a gyökértömésre használt anyagok között, valamint

9. a–c. ábrák: A jobb felső nagymetszőfog (1.1) kezelése során készült radiológiai felvételek. Kiindulási röntgen: jól látható a gyökér-reszorpció és a gyökér oldalán elhelyezkedő radiolucens terület (a). A reszorpció szintjéig tartó munkahossz meghatározás (b). A gyökér-reszorpció ellátása kalcium-szilikát alapú anyag segítségével (c).

58 e-Journal DENTAL HÍREK
9a 9b 9c

10. ábra: A szónikus aktiválással behelyezett kalcium-szilikát alapú sealer használatát bemutató videó (https://youtu.be/ CmXNk2uh6Mw).

11. a–c. ábrák: A jobb felső nagymetszőfog (1.1) kezelése során készült radiológiai felvételek. Kiindulási röntgen: jól látható a gyökér-reszorpció és a gyökér oldalán elhelyezkedő radiolucens terület (a). A teljes munkahosszon levezetett mester poénról készült felvétel (b). Az endodonciai ellátás befejezését követően készített felvétel (c).

ezek az anyagok képtelenek a gyökércsatorna-rendszer belső anatómiáját teljes mértékben feltölteni. A bioaktív kalcium-szilikát alapú anyagok a fizikokémiai tulajdonságaiknak köszönhetően képesek ezeknek a kihívásoknak eleget tenni.11 Ezek a sealerek elsősorban kalcium-szilikátot, cirkónium-dioxidot, tantál-oxidot, kalcium-foszfátot és egyéb töltőanyagokat tartalmaznak.12 Alkalmazásuk során az egy poén technika (single cone technique) használatát javasolják. Ezt az eljárást ebben az esetben általában hidraulikus kondenzációs technikának nevezik. Ez a módszer képes a gyökértömés elkészítésének

12. ábra: A jobb felső nagymetszőfog (1.1) kezelése során készült radiológiai felvételek. Kiindulási röntgen: jól látható a gyökér-reszorpció és a gyökér oldalán elhelyezkedő radiolucens terület (a). Az endodonciai ellátás befejezését követően készített felvétel (b). A hároméves kontroll alkalmával készített röntgenfelvétel a gyökér oldalán elhelyezkedő radiolucens terület teljes gyógyulását és a reszorpió megfelelő lezárását mutatta (c).

59 VII. ÉVFOLYAM – 2024. 3. SZÁM
10 11a 11b 11c 12a 12b 12c

13. ábra: A jobb és a bal felső nagymetszőfogakról (1.1, 2.1) készült kiindulási felvételek. Mindkét fog körül sugáráteresztő elváltozás volt megfigyelhető. A 2.1-es fog esetében a cement leválását (cemental tears) is észleltük.

14. ábra: Az eltávolított 2.1-es fog alveolusába helyezett csontpótló anyag.

folyamatát a végeredmény sikerességének csökkentése nélkül leegyszerűsíteni.13 A megfelelő bakteriális zárás biztosítására való képességük, a keményszövet-képződést indukáló bioaktív felszín kialakítására való alkalmasságuk, valamint a kiváló antibakteriális tulajdonságaik kifejezetten alkalmassá teszik ezeket az anyagokat, hogy hagyományos gyökérkezelések során gyökértömő anyagként alkalmazzuk őket.14 Az 5. ábra ezen sealerek alkalmazásának klinikai technikáját mutatja be.

Esetbemutatás (2., 3.)

Mindkét esetben irreverzibilis pulpitis miatt vált szükségessé a fogak endodonciai kezelése (6. a-d. és 7. a-b. ábrák). Az esetek ellátása során mindvégig minimálinvazív megközelítést alkalmaztunk. A hozzáférési nyílás kialakításától kezdve az endodonciai kezelés befejezését követő csonkfelépítésig, minden beavatkozás ennek megfelelően történt.

A konzervatív módon kialakított hozzáférési nyíláson keresztüli végzett kezelések során az egyik legnagyobb kihívást a gyökértömés elkészítése jelenti. Az egyenes irányú hozzáférés hiánya, a korlátozott rálátás és a pulpakamra kisméretű hozzáférési nyílása miatt csökkent hatékonyságú tisztíthatósága mind olyan faktorok, amelyeket figyelembe kell venni, ha minimálinvazív hozzáférést alakítunk ki.15 A kalcium-szilikát alapú sealerek fizikai tulajdonságai lehetővé teszik a klinikusok számára, hogy leküzdjék ezeket az akadályokat. A viszonylag

egyszerű obturációs technika, az anyag viszkozitási tulajdonságai és a pulpakamra viszonylag egyszerű tisztíthatósága a kezelésünk prognózisának veszélyeztetése nélkül teszi lehetővé az endodonciai beavatkozások lehető legkonzervatívabb módon történő kivitelezését. A bemutatott esetek ellátása során az Aurum Blue rendszert (Meta Biomed) használtuk a gyökércsatornák megmunkálására, míg a gyökértömés elkészítése során hideg hidraulikus kondenzációs technikát alkalmaztunk a kalcium-szilikát alapú CeraSeal (Meta Biomed) sealer felhasználásával (8. ábra).

Gyökér-reszorpció kezelése

Az iatrogén gyökérperforáció és a reszorpció miatt kialakuló károsodások olyan nemkívánatos szövődmények, amelyek eredményeképpen a gyökércsatorna-rendszer és a parodoncium között közvetlen kommunikáció jön létre. Ez hosszú ideig fennálló gyulladás és alveolaris csontveszteség kialakulását eredményezheti. Az ilyen jellegű elváltozások ellátása során az MTA bevezetése óta egyértelmű, hogy milyen hatást várunk el a kalcium-szilikát alapú anyagok alkalmazását követően. Ezekben az esetekben olyan anyagokra van szükségünk, amelyek alkalmasak a perforáció zárására, és ezzel egyidejűleg a szöveti regenerációt is képesek elősegíteni.16 A jelenleg elérhető bioaktív anyagok egy része előre kevert pasztaként putty konzisztenciában kerül kereskedelmi forgalomba. Ezek a sealerek alapvetően az MTA alternatívájának számítanak. Az előnyeik közé soroljuk a rövidebb kötési időt, a kiváló feldolgozhatóságot és az MTA-hoz hasonló biokompatibilitást.17

Esetbemutatás (4.)

Egy 35 éves férfi beteg a középső metszőfogait érintő érzékenység miatt kereste fel a rendelésünket. A klinikai vizsgálat során akut periapicalis abscessust észleltünk. A radiológiai vizsgálat eredményeinek kiértékelés során a jobb felső nagymetszőfog (11) gyökerét érintő reszorptív elváltozást láttunk. A beteg egy néhány évvel korábban bekövetkezett, a kérdéses régiót érintő traumás sérülésről számolt be. A diagnózisunk pulpa nekrózis és akut periapicalis abscessus volt.

A gyökérkezelés megkezdését követően az első ülésben nem lehetett a gyökércsatorna teljes munkahosszán végighaladni.

A gyökérkezelő tűk egy bizonyos mélység elérését követően folyamatosan a gyökér mezialis oldalán elhelyezkedő reszorbeálódott területbe vezették magukat. Emiatt a reszorpció által okozott defektus zárása mellett döntöttünk (9. a–c. ábrák). A

15. ábra: Az 1.1-es fogat ultrahangos eszközök segítségével retrográd irányból preparáltuk.

16. ábra: A retrográd gyökértömés elkészítése során CeraPutty sealert használtunk.

17. ábra: A műtét után készített röntgenfelvételen jól látható a megfelelően illeszkedő, homogén retrográd gyökértömés.

60 e-Journal DENTAL HÍREK
13 14 15 16 17
„Amit ma megvehetsz, ne halaszd holnapra”

A-dec 500

5 É V

Prémium kategóriás alsó/felső karos kezelőegység DELUXE vezérlés, 8+4 LED páciens lámpa, NSK NLZ LED-es mikromotor www.a-dec.com/virtual-tour www.dent-east.hu

Csak az a gyártó ad 5 év garanciát a termékére, aki biztos a gyártmánya minőségében

Az A-dec kezelőegységek szervizeléséhez a vételár mindössze átlagosan 1,97%-át teszi ki az évente vásárolt alkatrész. Ebben az A-dec páratlan.

A-dec 230

Felsőkaros kezelőegység, DELUXE vezérlés, 8+4 LED

vagy 4 LED páciens lámpa, NSK NLZ LED-es mikromotor

A-dec 200

Kompakt alsókaros kezelőegység DELUXE vezérlés, 8+4 LED

vagy 4 LED páciens lámpa, NSK NLZ LED-es mikromotor

A-dec/NSK elektromos, nyomaték szabályozott LED-es, ENDO funkciós mikromotor, rpm 100-40000
ÚJ MEGKÖZELÍTÉS! Dr. Faluhelyi Péter egynapos ergonomiai tréningje – ajándék a gép mellé
GARANCIA
2003 ÓTA FOLYAMATOSAN ELNYERTE A LEGJOBB KEZELŐEGYSÉG FŐDÍJAT
KAVOSZ SZÉCHÉNYI MAX lízing, 5%-os fix kamatozással, kevés mellékköltséggel már csak június közepéig vehető igénybe. Ügyintézést biztosítunk.
Keressen bennünket! Telefon: 06 20 943 8109 • 06 20 929 0701 • 06 20 922 8508 E-mail: mail@dent-east.com

zárás során EQ-S eszközzel (Meta Biomed) szónikusan aktivált CeraSeal pasztát használtunk (10. ábra). A második ülés megkezdésére a reszorbeálódott területre helyezett anyag teljesen megkeményedett, és ezáltal lehetővé vált a gyökérkezelő tűk gyökércsatorna lumenének teljes hosszán történő végigvezetése. Az endodonciai kezelés befejezésekor szintén a CeraSeal anyagot használtuk sealerként (11. a–c. ábrák)

A hároméves kontroll alkalmával készített röntgenfelvételen a korábban a gyökér laterális részén elhelyezkedő radiolucens elváltozások teljes regenerációját észleltük (12. a–c. ábrák)

Endodonciai sebészet

18. a–c. ábrák: Sebzárás. Közvetlenül a varratok behelyezése után készült felvétel (a). Az ötnapos kontroll alkalmával, közvetlenül a varratszedés előtt készített felvétel (b). A közvetlenül a varratszedést követően készített felvételen a megfelelő ütemű sebgyógyulás jelei láthatóak (c). 19. ábra: A négy hónapos kontroll alkalmával készített röntgenfelvételen mindkét fogpozíciónak megfelelően a gyógyulás jelei láthatók (1.1: endodoncia műtét, 2.1: alveolus prezerváció).

Az ideális gyökértömő anyagoknak számos jól meghatározott kritériumnak kell megfelelniük. Ezek között szerepel a megfelelő biokompatibilitás, a kiváló bakteriális zárás, a baktericid, de legalább bakteriosztatikus hatás, valamint a periapicalis szövetek regenerációjának elősegítése.18 Évek óta az MTA számít az aranystandardnak az endodonciai sebészeti beavatkozások során elvégzett retrográd gyökértömések készítése során. Azt is fontos megjegyezni, hogy az MTA kezelhetősége nem a legmegfelelőbb. Ennek megfelelően putty és paszta formátumú előre kevert biokerámiák kifejlesztése során az volt a cél, hogy az MTA-hoz hasonló tulajdonságokkal rendelkezzenek, de a kezelhetőségük ehhez képest jóval kedvezőbb legyen.19

Esetbemutatás (5.)

Egy 50 éves férfi beteg jelentkezett a rendelőnkben a bal felsőt (2.1) érintő III-as fokú mobilitás és intraorális duzzanat miatt. A beteg a jobb felső nagymetszőfogánál jelentkező ráharapási fájdalomról is beszámolt (13. ábra.) A korábban már gyökérkezelt és gyökértöméssel ellátott 2.1-es fog esetében a diagnózisunk akut periapicalis abscessus volt. A mezialis és distalis gyökérfelszíneknek megfelelően a cement leválását (cemental tears), illetve a gyökér fracturáját észleltük. A korábban szintén gyökérkezelt és gyökértömött 1.1-es fog diagnózisa periodontitis periapicalis symptomatica volt.

A 2.1-es fogat eltávolítottuk, majd az alveolust csontpótló anyaggal (DM Bone, Meta Biomed) prezerváltuk, hogy a későbbiekben alkalmas legyen egy implantátum befogadására (14. ábra). Négy héttel a fogeltávolítást követően endodonciai sebészeti beavatkozást végeztünk a jobb felső nagymetszőfog gyökércsúcsának megfelelően. A fog gyökerét konzervatív módon rezekáltuk annak érdekében, hogy a lehető legoptimá-

lisabb korona-gyökér arányt biztosítsuk. A rezekciót követően az ultrahangos megmunkáló fejek segítségével a gyökércsatornát retrográd irányból preparáltuk (15. ábra), majd CeraPutty anyaggal retrográd gyökértömést készítettünk (16. és 17. ábrák). A sebzárásra használt varratokat az ötödik posztoperatív napon távolítottuk el. (18. a–c. ábrák). A négy hónapos kontroll során készített röntgenfelvételen mindkét fog pozíciójának megfelelően a gyógyulás jeleit észleltük (19. ábra)

Következtetések

Napjainkban az endodonciai beavatkozások végzése során kiemelt jelentőséggel bír, hogy olyan sealereket használjunk, amelyek megfelelnek a Grossman által meghatározott kritériumok többségének, valamint a használatukat a szakirodalomban leírtak is alátámasztják, és a természetes fogak megmentését előtérbe helyező szakemberek számára is könnyen kezelhetőnek bizonyulnak. A saját fogak megmentése hatalmas értékkel bír, mind emberi, mind szakmai szempontból. Ez különösen igaz a fogászati implantátumok korában, amikor egy helytelenül felállított diagnózis a természetes fogak idő előtti elvesztéséhez vezethet. Az endodontusok a mindennapi munkájuk során a természetes fogak lehető legtovább történő megőrzésére törekednek. Az endodonciai célra is alkalmazható kalcium-szilikát alapú anyagok kiválóan alkalmasak az endodontusok munkájának elősegítésére, mivel többek között gyorsítják a szövetek gyógyulását, fokozzák a csontállomány mineralizációját, biokompatibilisek, kiváló bakteriális zárást biztosítanak, hidrofilek, és emellett könnyen kezelhetőek. A természetes fogak megmentéséhez elengedhetetlen a megfelelő anyagok és felszerelések használata, valamint az endodonciában jártas fogorvosok szakértelme.

(A cikk megírásához felhasznált irodalmi hivatkozások jegyzéke a szerkesztőségünkben elérhető.)

Forrás: Roots 2021; 3 32–37

62 e-Journal DENTAL HÍREK
19
18a
18b 18c

RENDELŐJE ESZKÖZEI A BETEGEK GYÓGYULÁSÁT, AZ

ADMETEC ERGO LUPE AZ ÖN

EGÉSZSÉGÉT SZOLGÁLJA!

Szinte minden fogorvos ta lálkozott már a szakmai árta lomnak számító jelenséggel, az egészségtelen fejtartás okozta nyaki gerinc-, illetve a hát és deréktáji fájdalommal, továbbá intenzív szem fáradtsággal, ami bármely hagyományos lupe használata mellett is kialakulhat. Te kintettel arra a folytonos előre billenő fejtartásra, melyben a beavatkozást végző orvos dolgozik egész nap (!), kinek jobban, kinek kevésbé, de egyre intenzívebben jelentkezik fájdalom, kortól és nemtől függetlenül.

Lupe használata manapság már szinte mindennapos, és a nagyított képpel járó előnyöket vitathatatlanul biztosítja, de a felettébb egészségtelen testtartás nyaki gerinc panaszt idézhet elő.

Erre kínál megoldást lassan 3 éve az izraeli Admetec lupegyártó terméke, az Ergo lupecsalád, ami töretlen népszerűségnek örvend Magyarországon is. A világpiacon 2021 nyarán bemutatott Ergo lupék optikai rendszere alapvetően prizmatikus, ráadásul kétszeresen is, mivel a 45°-ban megtört lupe képét is egy beépített prizma vetíti.

Ennek következtében, míg a hagyományos, egyenes lupét viselő orvos nyakát a fej súlyától függően 22-25 kg terheli, az Ergo lupéval ez a terhelés mindöszsze 3-5 kg-ra redukálódik. A pozíció gyakorlatilag egy kvázi „hordozható mikroszkóphoz” hasonlítható, azaz a kezelő orvos egyenes testtartásban, azaz neutrális pozicióban tekint maga elé, semleges szemtartással, miközben lefelé lát. Elérhető nagyítások: 3.0x, 4.0x, 5.0x, 6.0x, 7.5x, és 10.0x (!) egyedülállóan a világpiacon. A termék egyedi jellegéből adódóan, rendelésekor mindössze egy pupillatávolság és munkatávolság mérésre van szükség, továbbá esetleges dioptriás korrekció igényekor, friss szemészeti receptre.

S mert egy ilyen professzionális termék mellé professzionális fény is dukál, ezért a gyártó már anno az Ergo lupe családdal együtt dobta piacra a Butterfly HD LED vezetékmentes fényt is egy kezdetben 35 000 lux majd később egy továbbfejlesztett 55 000 lux fényerővel, mindkettőt intenzítás kapcsolóval kiegészítve.

Hamarosan megérkezik a legújabb generációs Butterfly EVO, vezetékmentes világítás is.

Számos hazai fogorvos használja már és imádja az Ergo lupéját, a forgalmazóhoz folyamatosan érkeznek a pozitív és elismerő visszajelzések.

A hagyományos, egyenes lupékhoz az Orchid HD LED vezetékes világítást, az Ergo lupékhoz pedig a Butterfly HD LED vezetékmentes világítást ajándékba adjuk.

Igény esetén 6 havi kamatmentes részletfizetést biztosítunk.

63 VII. ÉVFOLYAM – 2024. 3. SZÁM
lupe hagyományos lupe
06 30 942 7560, dental@harmonycom.hu www.harmonycom.hu

Prof. dr. Forrai Judit

A FOGÁSZAT EGYETEMI OKTATÁSÁNAK KEZDETEI A MAGYAR KIRÁLYSÁGBAN

A magyar fogászat kialakulásában Erdély meghatározó szerepet játszott a tudásközpont létrehozásával, valamint az országos és nemzetközi tudástranszfer megteremtésében. Az első ábrán az első magyar fogászati családfát állítottuk fel, azokét, akik az első egyetemi oktatók lettek, az első tankönyveket írták, és meghatározó szerepük volt a magyar fogorvosi első generációk képzésében. Természetesen az első fogorvosok Bécsben, a birodalmi fővárosban képződtek ki. Az első bécsi fogászati egyetemi professzor Pesten született, Georg Carabelli/Karabély György1 (1787-1842), aki kezdetben aranyműves-fogtechnikus, katonaorvos, később a Josephinumban végzett fogász mester, a híres Bécsi Orvosegyesület (Gesellschaft der Artze zu Wien) tagja, majd császári kinevezéssel Bécsben az első fogorvos professzor, az általa bevezetett újonnan elnevezett odontológia tárgy tanára. Ekkor kapta (1831) a Lunkaszprier-i nemesi előnevet, a Bihar megyében kapott birtokadománnyal együtt.2 Igen tehetséges egyik orvos asszisztense a nagykikindai születésű Sterne Ferenc (1810-1881), akiről sokat nem tudunk, csak annyit, hogy Carabelli helyébe lépett a bécsi egyetemen mint oktató professzor.

A pesti egyetemen két jelölt volt, akik meg akarták kezdeni a fogászat oktatását. Az egyik a Bécsben tanult Turnovszky Frigyes. Fogászmester családban született, e tehetséges fiatalember 1841-ben rendes, és 1842-ben rendkívüli tanári kinevezést kért, de kérését a Kar elutasította. 1848-ban ismét kérvényezi kinevezését, a pesti orvos-sebészi tanári kar 1848. július 4-én tartott ülésének jegyzőkönyve szerint személyi és szakmai kifogások miatt nem nevezi ki, de ugyanakkor engedélyt ad saját rendelőjében való oktatásra.

„Turnovszky Frigyesnek megengedtetik, hogy saját lakásában a gyakorlati fogászatból, mint magántanító előadásokat tarthasson.”3 Turnovszky tudományos szinten a hangképzéssel és a fogkövekkel foglalkozott. Személyes ellentétekről konkrétan nem tudunk, de Görgey jó barátja volt állítólag.4

1 Salamon Henrik: Georg Carabelli - Karabély György. Fogorvosi Szemle 1936. febr. 2. 49-59.

2 Fogorvosi Szemle 1936. 29. évf. 2. szám 49-49. 1936-02-01

3 Huszár György: Fogorvosi Szemle, 1949 42. évf. 6. szám 223-224.

4 Orvosi Tár, 1848. II. k. 7. Huszár György jegyzi: Fogorvosi Szemle, 1949. 42. évfolyam, 6. szám 223-224.

A másik, ám nyertes pályázó, a Lugoson született Nedelkó Döme (1812-1882) volt, az ő nevéhez fűződik a fogászati egyetemi oktatás magyarországi kezdete. Sterne Ferencnek jó barátja volt,5 aki később Bécsben Carabelli utódjaként oktatta Nedelkót.

A fogászati tudomány elsajátítása után Nedelkó Pestre jön, és aktívan vesz részt a fogászati ellátásban a Királyi Orvosi Egyesületben. Elfogadott kérvénye alapján megkapja a kinevezést.

„..Dr. Nedelko pedig f. hó 15-kén iktattatott szokott ünnepélyességgel a fogászati tanszékbe, s ezek szerint ezen szaktudományt sem leendenek többé kénytelenek orvos-sebésznövendékeink a külföldön tanulni.”6 Az Orvosi Tárban hírként jelenik meg: „Dr. Nedelko szinte kap talán engedélyt egyetemünkön a fogászatot taníthatni, de rendkívüli tanárczim nélkül,”7 így az első pesti fogászat ingyenes oktatója lett, V. Ferdinánd 1842-ben8 történő kinevezése után.

Sterne másik tanítványa a Nagykárolyon született Barna Ignác (1822-1894), igen tehetséges fiatalember volt.9 Kossuth Zsuzsa közvetlen munkatársaként a nagykárolyi kórházat vezette a szabadságharc alatt, majd ő is Bécsbe ment fogászatot tanulni Sternehez. Visszatérve Pestre az első kinevezett (1865) egyetemi tanár, hosszú oktatási pályát futott be az Orvosi Karon a fogászat területén, tankönyvet is írt.10 Sok hallgatója közül kiemelkedő volt Árkövy József, aki Barna laboratóriumában dolgozó fogtechnikus Árkövy (Arnstein) Márton fia volt.

Szabó József professzor egyik összefoglalójában a magyar-

5 Matekovics György: Nedelko Döme: Nedelkó Döme: a magyar fogorvosi oktatás lugosi úttörője / Dental Hírek. 2018.22. évf. 1. sz. 20-23.

6 Orvosi Tár, 3. folyamat 5. kötet, 17. sz. 1844.272

7 Orvosi Tár, 3. folyamat 5. kötet, 3. sz. 1844. 45.

8 Győry Tibor: Orvosi Hetilap, 1906. március 50. évfolyam, 12. szám 401.1906-03-25

9 Forrai J: A fogászat első egyetemi oktatói közül Barna Ignác, aki „Horác” műfordító is. Kaleidoscopehistory. 2021. 23. szám 190-202. http://doi.org/10.17107/KH.2021.23.190-202

10 Salamon Henrik: Dr. Barna Igác a fogorvos és költő. Fogorvosi szemle, 1939. 32. évf. 1.szám 1939-01-01 / 14-29.

64 e-Journal DENTAL HÍREK

országi fogászati oktatás minőségéről, illetve az első két oktatóról kicsit lesújtóan kemény véleményt formált: „Nedelko és Barna működése a szaktudományok fejlődésében teljesen improductívnak mondható, egyik sem foglalkozott önálló búvárlatokkal, szakférfiakat akadémiai pályára egyik sem nevelt: talán jó szakorvosok voltak abban a szűk körben, amelyet a viszonyok számukra kijelöltek, de nem bírtak tudományos szervezési képességgel, és új ösvényeket alkotó tudományos munkálkodás számára nem vágtak.”11 Ezzel a kritikával pontosan körvonalazza egy egyetemi tanár feladatát, és az elvárásokat munkájával kapcsolatban. Azonban e kri-

1. ábra: Az első bécsi és pesti egyetemi oktatók (Sterneről nem maradt fénykép).

tikák nem csorbítják azt a hírüket, hogy ők voltak az első egyetemi oktatók (1. ábra)

Az utánuk jövő, valóban két kiváló tanár egyike Iszlai József volt. 1881-ben lesz magántanár, külföldön tanult, aki igazi tudós és polihisztor volt, bár Szabó szerint egoista, aki nem szívesen osztotta meg tudását a tanítványaival és kollégáival, ezért az oktatást asszisztensére bízta. Az első három évben az egyetem bonctermében oktatott, aztán a lakásán. Sokoldalú tevékenységével (kutatás, szakírói tevékenység, lapalapítás, tudományos társaság szervezése stb.) elindította a fogászatot a szakszerű tudomány művelése felé.

A másik nagyszerű egyetemi tanár Árkövy József, aki 1881ben habilitált, és ettől az évtől kezdve a magánrendelőjében, a Magyar utca 21-ben, 1887-től a Szent Rókus-kórházban felállított új fogászati osztályon, majd 1902-ben az egyetemen (a mai egyetemkertben lévő gazdasági épület felső két szobáját kapja meg)12 dolgozott. 1908-ban a végleges Mária utca-Pál utca sarkán (Mária u. 52.) lévő, újonnan épült, korszerű Sztomatológiai Intézetbe költözik. Európa harmadik, legfejlettebb fekvőosztályos fej-nyak sebészeti ellátását szervezi meg, konferenciákat rendez, részt vesz munkatár-

11 Szabó József: A fogászat oktatásáról. Orvosképzés. 1935. 25. évf. 1. különszám 218-222.

12 Kóbor András: Az egyetemi fogászati klinikák alapításának évfordulóira, I. A Stomatológiai Klinika megalapítása. Fogorvosi szemle, 2009, 102. évf. 6. szám 235241

2. ábra: Árkövy József és Iszlai József a budapesti Fogászati Klinika első tanárai.

saival a nemzetközi szakmai életben, generációkat nevel, továbbképzéseket tart, megalapozza a magyar stomatológia klinikai és elméleti tudományát (2. ábra).

Fogászati Klinika működésének kezdete

1890 fontos év a fogtudomány történetében, ugyanis egy időben nyílik meg Kolozsváron és Budapesten az Orvosi Karon a Fogászati Klinika. Ez az egyidejűség jelöli, hogy szakmai szempontból nem volt különbség a fogászati szakma fontosságának elismerésében. Magyarország második egyetemeként, a Ferencz József Tudományegyetemen 1872-ben nyílt meg,13 fuzionálva és fejlesztve az 1775-ben létrehozott Orvos-Sebészi Tanintézettel14. A két város Fogászati Klinikája haladó szellemisége azonos volt, oktató gárdája szoros szakmai együttműködésével, nem úgy azonban a ráfordítható költségekben. Kolozsvár első fogászati ambolatóriuma egy nagyon szegényes bérszobában kezdte működését, összesen évi 200 forint összeggel gazdálkodhatott,15 míg később a Klinika meg nem épült 1913-ban.

Vajna Vilmos az első kolozsvári klinikai oktató

13 Gaal György: Egyetem a Farkas utcában. A Kolozsvári Ferenc József Tudományegyetem előzményei, korszakai és vonzatai. Kolozsvár, Erdélyi magyar Tudományos Társaság. 2001. ISBN 973 0 02284 4

14 Maizner János: A kolozsvári Orvos-sebészi Tanintézet Történeti vázlata (1775–1872), Kolozsvár, 1890. Gaal György, Egyetem a Farkas utcában: A kolozsvári Ferenc József Tudományegyetem előzményei, korszakai és vonzatai, Kolozsvár, 2001. http://orvostortenet.hu/tankonyvek/tk-05/pdf/3.4.4/gaal_egyetem_farkas_utcaban. pdf, Péterffy Árpád: Az erdélyi orvosképzés. I. rész Gerundium Egyetemtörténeti Közlemények 2016. VOL. 7.No. 3–4 72-99 (2016). https://ojs.lib.unideb.hu/gerundium/ article/view/1335

15 Salamon Henrik: A Magyar Stomatológia (Fogászat) története. A Magyar Fogorvosok Országos Egyesülete. 1942. 357-360.

65 VII. ÉVFOLYAM – 2024. 3. SZÁM

A Fogászati Klinika vezetését Vajna Vilmos (1854-1932) kinevezésével megfelelőnek találta a Kar vezetősége. De mit tudunk a Kolozsvári Egyetem orvosi Karán 1890-ben indult fogászat első professzoráról?

Vajna Vilmos Szolnok-Doboka vármegye Dés 16 városában született erdélyi nemesi család sarjaként. Középiskoláit és orvosegyetemi tanulmányait Kolozsvárott végezte, majd 1878-ban avatták orvossá. A diploma után Géber Ede professzor Bőr- és Bujakórtani Klinikájára került tanársegédként, ahol a nemi betegségek szájüregi elváltozásaival és azok vizsgálataival foglalkozott. 1880-ban Bécsbe ment és fogászmesternek tanult, majd Pesten Nedelkó Döme fogászati előadásait hallgatta. Visszatérve Kolozsvárra magán praxisán kívül magántanári habilitációját is megvédte: A fogak kór- és gyógytanából, valamint fogászati műtéttan témában 1889-ben.

A budapesti Fogászati Klinikát Árkövy vezeti 263 hallgatóval, addig Kolozsváron. a frissen habilitált Vajna Vilmos 4 hallgatójának oktatja a fogászat rendkívüli tárgyat, de a kisszámú hallgatósága az év végére lemorzsolódott. Ez megismétlődött két éven keresztül, így elkeseredésében nem folytatta tovább a kolozsvári fogászati oktatást. Budapestre költözik 1892-ben. Nem habilitált újra Pesten, de aktív résztvevője lett a fogorvosok tudományos és egyesületi életének, sok kongresszusra járt, bemutatta találmányait minden új szabadalmának alkalmával.

Másfél évig oktató nélkül marad a kolozsvári fogászat, mikor Vajna otthagyta az oktatást, de aztán két kiváló, végre

tudós alkatú szakember foglalja el méltó helyét a kolozsvári Fogászati Klinikai oktatásban: Rudas Gerő és Höncz Kálmán (3. ábra)

Rudas Gerő, a tudós tanár

Rudas (Reichental)17 Gerő (1856-1912) a Komárom megyei Nagy-Tanyon született, Győrben, majd Pápán járt iskolába. Orvosi tanulmányait Budapesten végezte. Mellette gyorsírá-

16 Szinnyei József: Magyar írók élete és munkássága. 1902. https://www.arcanum.hu/hu/online-kiadvanyok/Lexikonok-magyar-irok-elete-es-munkai-szinnyei-jozsef7891B/v-B293E/vajna-vilmos-B2E38/

17 Österreichisches Biographisches Lexikon: Rudas, Gerő; früher Reichenthal (1856-1912), Mediziner. DOI:10.1553/0x00283f76

szat-tanáriképesítést is szerzett (1879), ebben az időben már megszokott volt az elhangzott beszéd azonnali rögzítése sztenogramokkal.18 A Gyorsírászati Lapok19 felelős szerkesztője lesz, melyből a tanítással együtt tartja el magát, és fedezi az orvosi tanulmányait. Árkövy és Iszlai tanítványa volt. 1886-ban Kolozsváron kapja meg orvosi diplomáját. Ugyanebben az évben középiskolai orvosi és egészségtani tanári képesítést is szerez. A kolozsvári kórházban a bőrgyógyászaton és a belgyógyászaton lesz gyakornok. Később az élet- és szövettani tanszéken Klug Nándor, neves fiziológus tanár mellett (az MTA tagja, az egyetem rektora) két évig, mint tanársegéd működött. Műtői oklevelet is kap 1890-ben, magántanárrá nevezik ki 1896-ban a fogak szövet- és kórtanából.20 Éveken keresztül vizsgálta – sokszor önmaga által kiásott –a különböző állatok és emberi exhumált fogakat és csontokat, a bennük élő algákat és gombákat. Számos esetben úgy találta, hogy a csontokat jellegzetesen csak bizonyos fajta algák lakják, más esetekben megfigyelhette, hogy az algák csak bizonyos idő elteltével költöznek a csontokba. Kutatásainak végső célja a törvényszéki orvostan. „Azon különös ideával foglalkoztam,” írja a Magyar Fogászati Szemlében 1899-ben, „hogy a csontok és fogak szöveteinek – melyek szervezetünk legmaradandóbb részei – a halál után végbemenő változataiból nem tudnók-e valahogy megközelítőleg megítélni, hogy mennyi ideje annak, hogy a talált csont vagy fog élettelen?”21 Ezt nem sikerült akkor megállapítania, de az edaphon (talajban lévő élőlények) biológiai ismereteit jelentősen fejlesztette. Tanulmányaiban a morfológiai és patológiai vizsgálódásainak eredményét közli.

A csontokban élő növényeket Richter Aladár egyetemi tanár segített neki meghatározni, az Apáthy-féle állattani és szövettani intézetben ellenőriztette azokat. Wilhelm Roux (1850-1924) német zoológus szerint a korhadó csontokba a Mycelites ossifragus nevű gomba fészkeli be magát. Rudas Gerő a megvizsgált anyagban összesen ötféle gombát talált, de ezek közül csak két faj idézi elő a csontok korhadását. Nem minden földből kiásott fogban és csontban talált gombát, de a föld különböző mélységű rétegeiben is eltérően jelentkeztek szerinte a gombák. A Roux által felfedezett (1887) „Mycelites ossifragusnak” Rudas három faját különböztette meg. A gombafajok bűzösségének vizsgálati eredményeit, készítményeit az akkor Berlinben dolgozó Willoughby Dayton Miller (1853-1907) fogorvosnak küldte véleményadásra, aki úgy döntött, hogy azok a gombák csak egy fajhoz tartoznak.

Ez az időszak éppen a fogászati mikrobiológia forradalmi hőskorszaka volt, az évezredes caries-elmélet paradigmaváltása, nevezetesen nem fogféreg, vagy egyéb savhatás, mortifikáló

18 Kovács Imre 1821-ben fordította le németről magyarra, melyet majd országgyűléseken használnak hivatalosan a gyorsírók.

19 Gabelsberger-féle gyorsíró rendszert Markovits ültette át magyar nyelvre. Markovits 1869-től szerkeszti. Rudas is e lap szerkesztője lesz.

20 Péter Mihály i.m.150-153

21 Lendvai János: Kisebb közlések. Erdészeti Kisérletek, 1916. 18. évfolyam, 1-2. szám 81-86

66 e-Journal DENTAL HÍREK
3. ábra: A kolozsvári Fogászati Klinika első oktató tanárai.

ágensek, lobos folyamatok, fejlődési hibák, elektrofizikai ráhatások stb. okozzák a cariest, hanem a „chemico-paraziter” elmélet megalkotásának pillanatai voltak éppen Miller kísérletei és elmélete alapján. Ugyanis Miller Robert Kochnál dolgozva, vele együtt állították fel a modern biológiai elveket a fogászattudományban. Miller amerikai fogorvos létére volt az első külföldi, aki 1884-ben professzori címet kapott egy német egyetemen – a Friedrich Wilhelms Egyetemen – sebészeti fogászatból. Fő műve „Az emberi száj mikroorganizmusai” (1890).22 Az elásott csontokban az említett gombákon kívül szép számmal élnek algák is, melyet Rudas kimutatott. Richter Aladár botanikus meghatározása szerint kimutatott algák egy része Palmellák, másik része Oscilláriák. Rudas egyik értekezése szerint Oscilláriák is előfordulnak a csontokban. Vizsgálatai szerint a fog Havers-féle (csontlemez rendszerek) csatornáiban az eredeti élet kioltódása után új élet költözik, egyrészt saprophyton természetű gombák, de másrészt aszszimiláló algák. Költözködésük útja a talaj vize, mely a csontok csatornáiban száraz időben is huzamosan megmarad. Rudas teljes mértékben az akkori kor legmodernebb kutatásainak az élvonalában volt, kiterjedt nemzetközi kapcsolatokkal. Kutatásai nemcsak a kórokozókra terjedt ki, hanem a morfológiai vizsgálatokra is. Jelentős tanulmányokat írt a fogakban elhelyezkedő Tomes-nyúlványokról és a Retzius vonalakról, több mint 1000 metszetet készített. Jelentős szakirodalmi tevékenysége volt, cikkei nagy része az Erdélyi

22 Miller, WD: The human mouth as a focus of infection Dent Cosmos 1891; 33:689, 789, 913.

Múzeum-Egylet Orvos-Természettudományi Értesítőjében jelent meg.

Höncz Kálmán, a másik kiváló tanár

Höncz Kálmán (1865-1948) Mateoc, a másik nagyszerű tudós tanár, aki a kolozsvári Fogászati Klinika másik felvirágoztatója, gyakorlati oktatója volt. Orvosi tanulmányait a kolozsvári egyetemen végezte, ahol 1889. orvosdoktorrá avatták. Brandt József sebészeti klinikáján volt 1890-1895-ig díjas műtősegéd, majd tanársegéd. Az itt eltöltött gyakorlat tapasztalatait majd később kamatoztatja, tudásának és kézügyességének komoly híre megy. Szakmailag munkáját és sebészi tehetségét, szellemes egyéni megoldását dicséri egy plasztikai sebészet történetével foglalkozó, 1895-ben megírt cikk:

„Kétségtelen tény, hogy a 19. század második felének három nagy sebésze, Lumnitzer, Réczey és Kuzmik sokat foglalkozott plasztikai sebészettel, és sokat írt is róla. Jelentős felfedezésekkel azonban nem gazdagították a szakmát. Pedig „tehetségekben nem volt hiány” – ahogy Petri írja –, mert az eredetiség mindannyiuk munkájában megcsillant. Haynal István békési műtőorvos 1867-ben és Höncz Kálmán kolozsvári sebész 1894-ben közölt száj pad varratai, Szilágyi Ede és Siklósi Gyula 1873-ban ismertetett szemhéjképzése, Adler Adolf 1880-ban leírt ajak- és pofapótló műtétei, valamint Navratil Imre 1888ban előadott orrpótlása mind tartalmaz valami szellemes

...és ami mögötte van biztos megoldás a fogászati szakma elérésére
67 VII. ÉVFOLYAM – 2024. 3. SZÁM

egyéni meglátást vagy módosítást.”23

A Brandt József sebész professzor 1892-ben alapított Kolozsvári Önkéntes Mentő-Egyesület lelkes tagja lesz az ifjú orvos. Közben Höncz állami ösztöndíjjal sorra látogatja a bécsi, boroszlói, lipcsei, hallei és berlini fogászati iskolákat. 24 1896-ban „száj- és fogbetegségek“-ből habilitálják magántanárrá, Árkövynél tanult, s útravalóul ezt kapja:

„Szép feladat vár reá a jövőben abban a tekintetben, hogy teremtsen a kolozsvári egyetemen a stomatológia tanításának és tudományos művelésének klinikai otthont. Küzdelmes feladat ez, de merítsen erőt a budapesti példából, melynek tanulsága, hogy a célratörő, szívós és kitartó munka végül mégis csak eredményre vezet.“ 25

Széles látókörű, olvasott, művelt, érzékeny ember. A Kolozsvári Athletikai Club vívóinak, atlétáinak kluborvosa, Szepes megyei Történelmi Társulat tagja, és a Kolozsvári Konzervatórium (amatőr) zenekarának tagja.

Mint ebben az időben pénz- és helyhiány miatt kezdetben sokan, ő is a saját lakásán oktatott, 1913-tól pedig az akkor

4. ábra: Kolozsvári Fogászati Klinika háromszékes oktató terme.

megnyílt Stomatologia Klinikán, ott tartott előadásokat (4. ábra).

1917-ben már nyilvános, rendkívüli tanárrá nevezték ki. Közben a háború és következményei mindenki életét megváltoztatta. Höncz Kálmán ellenállt a megváltozott helyzetnek, nem kívánt hűségesküt tenni a román hatalomnak, és így 1919. elején ott kell hagynia a szeretett klinikát.

Höncz a Fogorvosi Szemle állandó munkatársa is volt, hoszszú évekig nagy energiával látta el minden felvállalt feladatát (5. ábra).

Munkás és tartalmas kutató-oktatói munkájának a koronája az 50 éves aranydiploma átvétele volt, melyet 1942-ben Kolozsváron nyújtották át neki ezzel az értékeléssel:

„Dr. Höncz Kálmánnak több mint fél évszázadot kitevő tudományos és közéleti működése előtt tisztelettel ál -

23 Dr. Zoltán János: A plasztikai sebészet múltja és jelene hazánkban. Honvédorvos, 1985. 37. évf., 1-2. szám) 17-24.

24 Péter Mihály: A fogorvosképzés kezdetei Erdélyben. Orvostörténeti Közlemények 2002. 178-181. (Budapest, 2002) 131-140

25 Salamon Henrik: Erdély a magyar stomatológia történetében. Fogorvosi Szemle, 1942.35. évf. 7. 157-166

5. ábra: Höncz Kálmán évekig munkatársa a Fogorvosi Szemlének.

lunk meg, és különösen kiemeljük azokat az érdemeket, amelyeket nevezett a két évtizedes idegen megszállás idején az erdélyi magyar orvosi közéletben szerzett, valamint azokat a szolgálatokat, amelyeket egyetemünk, szorosabban véve orvosi fakultásunk érdekében tett, amikor Északerdély visszacsatolása után előrehaladott kora ellenére is áldozatos módon szentelte idejét és erejét a fogászati klinikánk megszervezésének és működésbe helyezésének. Tisztelettel bejelentem, hogy az aranydiplomát orvostudományi karunk ünnepélyes keretek között óhajtja dr. Höncz Kálmánnak átadni. Kolozsvár, 1942. okt.26., dr. Horváth Béla s.k. orvoskari dékánh.” 26

A magyar fogászati oktatás kezdeti hőskorszakában erdélyi származású szakemberek nagy számban vettek részt, a kolozsvári fogászati oktatás követte az európai tudásszintet, egy időben nyílt meg az első fogászati klinika a budapestivel. Kiváló szakemberek emelték a magas színvonalra a tudományos oktatást és a jövő nemzedék tudásanyagát.

26 Szegedi egyetemi jegyzőkönyvek, 1909-1980 Kolozsvári Magyar Királyi Ferenc József Tudományegyetem rektori tanácsülései, 1942-1943. 1942. november 25. III. rendes ülés 106-107. https://library.hungaricana.hu/hu/view/ SZEGED_KOLOZSVAR_ET_1942-1943/?pg=119&layout=s&query=H%C3%B6ncz

68 e-Journal DENTAL HÍREK

ERŐS FOGAK ÉS EGÉSZSÉGES SZÁJ – MEGGYŐZŐ MOSOLY

A száj és a fogak nemcsak a táplálkozás és az emberi kommunikáció fontos részei, de esztétikai szempontból is jelentős szerepük van. Az egészséges fogak és fogíny egészségünk meghatározó elemei, a hibátlan, derűs mosoly pedig minden egyén kívánsága.

Nem csak a fogak fájnak

Az íny leggyakoribb gyulladásos megbetegedése a gingvitis vagy fogínygyulladás, mely legtöbbször a rossz szájhigiénia következményeként jön létre. A begyulladt és vérző fogíny a rossz lehelet mellett a betegség első jele. A gingvitist tehát gyógyítani kell, mert különben a gyulladás előrehaladott állapotában a gyulladt íny gócként szerepel, mely gócbetegségeket okozhat.

Az egészséges ember szájában folyamatosan jelen vannak mikroorganizmusok, amelyek szaporodása az íny gyulladásához vezet, és idővel a fogágy többi része is érintett lesz, paradontitis jelentkezhet. A tasakok mélyebbek lesznek, ezért a gyulladás ráterjed a mélyebb paradontális szövetekre is. A fogágygyulladás következtében a fogakat rögzítő szövetek elbomlanak, a betegség pedig átterjedhet az állkapocs csontszövetére is. Ennek együttes következménye, hogy a fog tartószerkezete meggyengül, elbomlik, így a fogak meglazulnak, majd kihullanak.

A hialuronsav a fogágy kötő- szövetének fontos kompo- nense

A hialuronsav a szervezet természetes anyaga és az egészséges fogíny fontos komponense. Alkalmazása a fogászatban: – csökkenti a szájnyálkahártya-irritációt

– megvéd a fertőzésektől

– felgyorsítja a sebgyógyulást és szövetregenerációt – csökkenti a fogínyvérzést, a foggyulladást és a duzzanatot

A kutatások kimutatják, hogy a hialuronsav fogászati alkalmazása jelentős mértékben hozzájárul az ínybetegségek megakadályozásában és gyógyításában.

Ínybetegségek megelőzése és gyógyítása hialuronsavval

A gyógyszertárakban és speciális üzletekben különböző formákban és kiszerelésben már 3 éve kapható a Gengigel, ami az egyedüli hialuronsav-alapú készítmény.

A termékcsalád használata egyszerű, gyermekek, terhes nők és cukorbetegek egyaránt használhatják. A hialuronsav tartalma miatt hatékony megoldás az alábbiakra:

– ínyvérzés

– gingivitis (fogínygyulladás)

– parodontitis (fogágybetegség)

– megsértett íny (sebészeti beavatkozás, foghúzás, fogpótlás után)

– korona, híd, fogprotézisek miatt irritált szájnyálkahártya

Ezen tulajdonságai alapján bátran állíthatjuk, hogy a Gengigel az egészséges fogíny receptje.

(X) Forrás: Medis sajtóanyag

70 e-Journal DENTAL HÍREK

Hialuronsav

Az egészséges fogíny receptje

Az egészséges fogíny receptje

Az egész csalàd számára

csillapítja a vérzést

elősegíti a sebgyógyulást a szájüregben

elősegíti a szövetregenerációt

csökkenti a duzzanatokat

védi a szájnyálkahártyát a fertőzésektől

nagyi protézis által irritált íny, fogágygyulladás

anyu ínyvérzés és afták

misike a fogzás időszakában jani sérült íny gél/szájöblögető oldat/szájspray/baby gél
Ft Gengigel az első fogaktól 4490 Ft Gengigel szájvíz 5290 Ft Gengigel first aid 5200 Ft smile shopszájápolás mindenkinek DP Hungary Kft. 1012 Bp., Kuny Domokos u. 9. Tel.: +36 30/472-0030 www.dental.hu, info@dental.hu Emmi-Dent Platinum ultrahangos fogkefe 67 990 Ft Emmi Dent Whitening fogkrém 3090 Ft GENGIGEL PROF AKCIÓ! 25 000 Ft Gengigel gél 4490 Ft
www.gengigel.hu Gengigel spray 4490

Tel.: +36 1 328 0427

Fax: +36 1 348 0428

E-mail: info@sgs-dental.com www.sgs-dental.com

1077 Bp., Rózsa utca 29. www.modent.hu,

• 3D lézerszínterezett vázak

• Gyorsan tökéletes minőségben

• Remanium star anyagból

Tel.: 06-20-366-10-80

www.lezerszinter.hu

Fogászati kereskedelem opron, Faller Jenő u .:+36 99/508-698 ax: +36 99/508-696

• AMPRI: színes e.h. eszközök;

• Anger: matricák, ideiglenes koronák, fényvezető ék;

• ASA: műszerek, egyszer használatos eszközök;

• BISCO: cementek, bondok, kerámiajavító;

• FKG: endodonciai eszközök;

• DTS: színes műanyag lenyomatkanalak;

• NEOLIX: gépi gyökérkezelő tűk;

• OLIDENT: tömőanyagok, sav, bond;

• ORO CLEAN: fertőtlenítőszerek;

• PROMEDICA: cementek, tömőanyagok, alábélelők;

• SCORPION: scaler végződések, implant tisztításhoz is;

• SHOFU: cementek, tömőanyagok, csiszolók;

• SS White: koronafelvágó, karbid- és gyémántfúrók;

• TIDI: védőmaszkok;

• WHITEWASH: fogkrém, fogkefe;

• ZHERMACK: A- és C-szilikon, alginát lenyomatanyagok.

az importőrtől:

HERBODENT Kft.

✉ 1025 Bp., Szépvölgyi út 52. % 325-7129

%/fax 325-7220, mobil: 30/203-6957, 30/241-5737 e-mail: herbodent@herbodent.hu, www.herbodent.hu

.hu Loupes and lights BUILD YOUR DREAM LOUPE 1135 Budapest, Frangepán u. 66/B. +36 1 236 4000 | info@newyorkdental.hu www.newyorkdental.hu Közvetlenül
BIONIKA shop.bionika.hu +36 70 670 6875 CE Egyedit,
gyorsan, kiváló minőségben.
info@modent.hu PRIMA AUTOKLÁV Új olasz fejlesztés megbízhatóság, egyszeru ” kezelés, letisztult dizájn A-dec 500 a PRÉMIUM Dent-East Kft. 1112 Budapest, Rétkerülő út 51 www.dent-east.com • mail@dent-east.com 5 É V GARANCIA 47x69_v1.0.indd 1 2021. 03. 18. 16:25 Antiragacs kocka hogy ne ragadjon a műszere a kompozithoz! Dr. Volom Dental 1067 Budapest Podmaniczky u. 39. Tel.: +36 1 311 65 84
Straumann GmbH Magyarországi Fióktelepe 1016 Budapest, Hegyalja út 7–13. COMMITED TO SIMPLY DOING MORE FOR DENTAL PROFESSIONALS TRY IT. LOVE IT. BUY IT. 1024 Budapest, Rómer Flóris u. 34. Tel.: 06-20/946-4350, e-mail: dentalmode@chello.hu. RAYSCAN
A MINO˝SÉG A SIKER GARANCIÁJA ai_hird_47x69.indd 4 5/7/15 9:24 AM sgshirdetes 2012februar 165x235 indd 1 sgshirdetes_2012februar_165x235.indd 1 1/27/12 12:29 PM SGS
European Logistic Center 1047
www.drvolomdental.hu
www.alphaimplant.hu
International Ltd.
Budapest, Károlyi István u. 1–3.
LEZERSZINTER.HU
9.990 14.990

Turn static files into dynamic content formats.

Create a flipbook
Issuu converts static files into: digital portfolios, online yearbooks, online catalogs, digital photo albums and more. Sign up and create your flipbook.