e-Journal - Endodontia 2023

Page 1

2023. VI. évfolyam

5. szám

E-JOURNAL ENDODONTIA

A FOGÁSZAT

INFORMÁCIÓS

MAGAZINJA

www.dental.hu

Prof. dr. Fazekas Árpád életmű díjának átadása

Célzott endodonciai mikrosebészet

A kalcium-szilikát alapúanyagok endodonciai célúfelhasználásának lehetőségei

Az endodonciai ellátás során történő dentinprezerválás lehetőségei

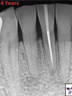
Kalcifikált felső metszőfog kiszámítható gyökérkezelése

3D-nyomtatott

fúrósablon segítségével

A 10 éves Alpha Implant Kft. a hagyományos munkafolyamatok mellett a digitális workflow minden lépésére megoldást kínál. A digitális technika fejlődése a fogászati piacon is egyre nagyobb teret hódít. Ebben nyújt

segítséget a 6 lépésből álló Alpha Digital Workflow, amely az intraorál scanneléstől a kész fogmű behelyezéséig terjed. Ne zárja magát keretek közé, lépjen az Alpha Implant Kft.-vel a Digitális Szabadság Világába!

ÜDVÖZÖLJÜK
IMPLANTÁTUM
IRÁNYÍTOTT SEBÉSZET
A DIGITÁLIS SZABADSÁG VILÁGÁBAN!
PROTETIKAI FELÉPÍTMÉNYEK +36 1 353 9090 | info@alphaimplant.hu | www.alphaimplant.hu
INTRAORAL SCANNER CIRKON TÖMB
3D NYOMTATÓ REGIONÁLIS KÉPVISELŐ:

Tisztelt Olvasó!

2023-ra a fogászati szektor – reményeink szerint – fel tudja dolgozni a Covid-19 okozta nehézségeket, a háború mellett elszabaduló inflációt, és már tervezi az idei év fejlődési lehetőségeit. Mindanynyian abban bízunk, hogy időben alkalmazkodni tudunk majd a változásokhoz, és stabilan tudjuk vezetni a vállalkozásinkat!

A tavalyi év sokunk életében hozott különböző nehézségeket, mégis elmondhatjuk, hogy mindenképp jobb volt, mind a 2020-as és a 2021-es esztendő, amikor a létbizonytalanság, a járványtól való félelem uralta a napjainkat. Az idegenforgalom szépen megindult, de a korábbi számok, a vendégéjszakák még nem érik el a 2019-es év adatait. A nagy rendelők már próbálnak teljes kapacitással üzemelni, a fogtechnikai laborokban is visszatért a folyamatosság, a fogászati kereskedők jelentős része pedig jobb évet zárt 2022-ben, mint korábban.

A fogászati rendelők és fogtechnikai laborok az elmúlt 2-3 évben főleg a fejlesztéseket állították előtérbe, amelyhez számos pályázat és egyéb forrás is kedvező konstrukciókat kínált. 2023-ban – tudomásunk szerint – is lesznek új pályázati források, melyekről a kereskedelmi vállalatok részletesebb információkat tudnak adni. Az új források bevezetése idén már bizonyosan ismét növekedési spirálba helyezi majd ezt a szektort!

Az infláció elérte a fogászati ágazatot is, a vállalkozások az euro változásától, gyengülésétől függően azzal találkoznak, hogy az árak – a mindennapi élet mellett – itt is jelentősen és folyamatos változnak, emelkednek. A fogászati rendelők is kénytelenek az áraikat emelni, egyre több rendelő, ún. „piaci alapú” árképzést vezet be. A folyamat kimenetelét még nem lehet pontosan látni, a munkaerő fluktuációja, az Európai Unió áraihoz képest alacsony magyar fogászati beavatkozások értéke - jelenleg még nem érte el a drágulás csúcspontját. Az elmúlt időszakban számos újság, cikk foglalkozott a fogászati szektorban található extra drágulási folyamattal. Ez egyelőre - a hazai rendelőkben - még nem mutatott jelentős problémát, új hívószavakkal, sok marketing munkával, reklámmal most a magyar lakosságot kell határozottabban a rendelőkbe invitálni!

Idén már 23. éve nagy energiával szervezzük, és sok munkával készülünk az őszi Dental World Nemzetkö-

zi Kongresszus és Szakkiállítás sikeres lebonyolítására, melyen reméljük, hogy az egész fogászati szakma képviselteti majd magát! Nemzetközi szinten is ismert/elismert előadók, gyakorlat-orientált képzések, továbbá sok új élmény is várja majd a látogatókat, az érdeklődőket!

A kiadó bizakodva tekint a jövőbe, a megújult tartalmaink kapcsán sok pozitív visszajelzést kapunk, melyeket nagyon köszönünk! Az elmúlt években - a nehézségek ellenére is - növelni tudtuk a kiadványaink, a magazinjaink számát, nem csökkentve azok tartalmi minőségét. 2020 óta a tematikus e-Journalok is folyamatosan megjelennek, melyek egyfajta online könyvtárként is szolgálnak az olvasóinknak. A dental. hu oldalon díjmentesen elérhetőek a korábbi tematikus online lapszámaink is.

A mostani kiadványunkban általános fogorvosi eljárások mellett az endodontia témakörével foglalkozunk.

Jó olvasást kívánok!

Laczkó Tamás, felelős kiadó

3 VI. ÉVFOLYAM – 2023. 5. SZÁM

E-Journal VI. évfolyam, 2023. 5. szám

Kiadja: DP Hungary Kft.

1012 Budapest, Kuny Domokos u. 9.

Felelős kiadó: Laczkó Tamás

Főszerkesztő: Dr. Riba Magdolna

Előkészítés:

DP Hungary Kft., Sárközi András

e-mail: grafika@dental.hu

Információ, hirdetésfelvétel:

Bárdos Veronika, telefon: 06-30-472-0030, 06-1-793-1874

Az újság e-mail címe: info@dental.hu

Az újság internetcíme: www.dental.hu

Terjesztés: E-mail hírlevél formájában.

A tudományos közleményeket a szerkesztőség lektoroknak adja át véleményezésre. Közlés csak egyetértő lektori vélemény, illetve a javasolt módosítások elvégzését követően lehetséges.

A cikkek szerzői vállalják, hogy az általuk elküldött írás saját forrásból származik, illetve a felhasznált anyagokat (publikációkat, illusztrációkat, képeket stb.) mindenkor pontosan feltüntetik. Írásaiknak jogi és egyéb adatvédelmi kérdéseiben felelősséget vállalnak.

A német nyelvű szakmai cikkeink magyar fordítását az Oemus Media AG Kiadó engedélyével szerkesztettük lapunkba. A fel nem használt kéziratokat, fotókat nem őrizzük meg, és nem küldjük vissza.

A hirdetések tartalmáért nem vállalunk felelősséget. A gyártó, illetve forgalmazó cégek kérésére közzétett cikkeket keretbe foglalva közöljük és (x)-szel jelöljük, azok szakmai tartalmáért a szerkesztőbizottság nem vállal felelősséget.

4 Tartalom ENDODONTIA Prof. dr. Fazekas Árpád életmű díjának átadása 8 Célzott endodonciai mikrosebészet 12 A kalcium-szilikát alapúanyagok endodonciai célúfelhasználásának lehetőségei 22 Az endodonciai ellátás során történő dentinprezerválás lehetőségei 30 Kalcifikált felső metszőfog kiszámítható gyökérkezelése 3D-nyomtatott fúrósablon segítségével 52 Autogén fogtranszplantációt követő konzervatív endodonciai terápia 58 Erős fogak és egészséges száj – meggyőző mosoly 64

STRAUMANN® BLX IMPLANT SYSTEM

Confidence beyond Immediacy.

System overview

ADENTALPRESSTEMATIKUSKIADVÁNYA

Nyomtatott magazinok

2022 / III.ÉVFOLYAM–ÁR:2500FT

DIGITÁLIS FOGÁSZAT

pot az orvoskamara kifejezésével élve: „irányítási-igazodási válság” –, amiben az egészségügy járvány eleje óta őrlődött két tárca között. Igaz, sokan csalódtak, hogy az új kormányban sem lesz egészségügyi minisztérium. Őket friss ágazati egyik első megszólalásakor azzal vigasztalta, hogy az egészségügy érdekérvényesítő képességét nem az önálló minisztérium erősíti, hanem a mi

niszter személye.

bilitás érzetét erősítheti, mivel

Tanulmányozd először az elméletet, aztán jöjjön a gyakorlat, mely belőle származik

„A helyreállító fogászat lett a szenvedélyem és a mindennapi munkám”

Hagyományos teljes fogsor hatékony átalakítása

Teljes ívű rehabilitáció primer vázra ragasztott lítium-diszilikát szekunder koronákkal

ESETISMERTETÉS ESETISMERTETÉS
PORTRÉ
INTERJÚ
Katona József hogy túl nagy változások nem vár-demi fejleményt azonban már tárca (EMMI) felszámolásával azniszter portfóliójába került. Ezzel megszűnhetett az az áldatlan álla-
-
-
őt „igen közelről”, az Országos Kórházi Főigazgatóság (OKFŐ) főigazgató-helyettesi székéből vette magakozásakor pedig azt hangsúlyozta: egészségügyben. Az első nagy léciklusban, most finomhangolásjövő szereposztásáról is: stratégioperatív végrehajtás az országos utóbbi poszton Jenei Zoltánnal indul óta tölti be hivatalt. Bemutatkozásakor azt jelezte az államtitkár: nyár közepéig elkészítik „stratégiai anyagaikat”, csak olyan megoldási javaslat kerülhet kormány elé, amit támogatnak szakmai szervezetek is. Így minden érdekelt reményekkel telve indulhatott nyaralni, bízva abban: számára is gyümölcsözően alakul majd az ágazat sorsa. A Magyar Orvosi Kamara (MOK) azonban semmit sem bízott a véletlenre. Amint felállt a kormány, egy 8 oldalas levélben részletezték belügyminiszter számára, hogy miben problémáit. Látleletükben egyebekutak szétzilálódtak, várakozási idők ellátások közel elérhetetlenné váltak,berhiány. Összességében úgy látják, hosszú, sem rövid távon nem tartszorgalmazták ajánlották hozzá a helyzet javítására egy, a 2011-es részletességű programot alkossanak. Az ellátási problémák nagyságának érzékeltetésére Kiss Zsolt Nemzeti Egészségbiztosítási Alapkezelő (NEAK) főigazgatója szolgált egészen meghökkentő adatokkal június elején. E szerint idén, az első negyedévben a kórházak közel negyedével, szakrendelők ötödével kevesebb beteget láttak el, mint a járvány előtti utolsó év megfelelő időszakában. A krónikus osztályok teljesítménye pedig korábbinak Mindez arra utal, hogy sok páciens be sem jut az ellátórendszerbe, kórházszövetség kongresszusának ma 19-31 százalékkal kapnak több indokolna. 3. oldal TUDOMÁNY ÉS KUTATÁS A fogászati implantológiát évtizedeken elérése vezérelte. kifejezés létrejöttét P. Branemarktól eredeztetik, aki elsőként írta le vitális csontszövet és vele kapcsolatba kerülő titániumból készült eszközök között megfigyelhető... GYAKORLÓ FOGORVOS AJÁNLJA Egy fogpótlás készítéséhez a fogorvos felpuhított viaszba haraptatja pácienst. harapás alapján készített fogpótlás nem csak fogak, a fogpótlás... IRÁNYVONALAK, ALKALMAZÁSOK A Cerec Accept programjának erőteljes szegmense status quo megvitatása. Mindannyian átéltük már, mindannyian éreztük már otthonosan magunkat benne. Velünk nyaralt a remény Új tanulmány szerint a nanorészecskék használata hatékonyabb módszer lehet a fogfehérítésre Anisha Hall Hoppe, Dental Tribune International A dél-koreai Sungkyunkwan Egyebizonyos típusú nanorészecskék lehetnek következő élenjáró megazért nem bíztak bennük, mert azkéről bebizonyosodott, hogy nem a fogfehérítést, és emellett antiremineralizációs tulajdonságokkalben alkalmazzák fogászatban, beleértve fogpótlást, helyreállító fogászatot és parodontológiát. A jelenleg klinikailag használt fogfehérítő szerek, mint például karbamid-peroxid és a hidrogén-peroxid, szabad gyökök keletkezése miatt potenciálisan kóros károsodást okozhatnak. Az áttekintés azt sugallja, hogy a nanorészecskék nemcsak akkor hasznosak, ha fehérítő termékekhez abrázió céljából adják őket, hanem fehérítőszerként alkalmazva még jobban működhetnek, mint meglévő termékek, mivel képesek elősegíteni remineralizációt, oxigénfajokat szabadítanak fel. A keletkező reaktív oxigénfajok oxid és az arany nanorészecskék nanorészecskék viszont hidroxiláttekintés beszámolt szerint hidrogén-perhatást fejtet ki, amikor arany nanorészecskéket használtak, valamint egy másik vizsgálatról, amely kimutatta, hogy az aranylata nem okozott biológiai problémákat vizsgált állatokban. A felülvizsgálat szerzői szerint szükség annak ellenőrzésére, hogy ezek nanorészecskék potenciálisan jelenthetnek-e toxicitási kockáA hosszú hullámhosszú fénnyel amelyről beszámoltak, azt sugallsza szén kompozitja jobb fehérítésiláltak nyilvánvaló toxicitást. Egy hanm-es diódalézerrel aktiválva egy amely titán-dioxid nanorészecskéket tartalmazott, ugyanolyan mértékű fehérítést biztosított, mint egy 35%-os hidrogén-peroxid-oldat. A csoport beszámolt hidroxiapatittal kapcsolatos kutatásról is, amelyről ismert, hogy fogak szilárdságát növeli azáltal, hogy apatitot ad demineralizált zománchoz. Az egyik tanulmány megállapította, hogy hidroxiapatit nanorészecskék fogkrém formájában javították fogak színét, egy másik pedig azt jelezte, hogy a hidroxiapatit nanorészecskéket tartalmazótonságosak. A tanulmány, amelynek címe: „Nanowhitening agents: Progress and perjúnius 15-i számában jelent meg, Forr s: www.dental-tribune.com Kép: Shutterstock/MarcinK3333 B 2022. - XViii é 3. szám The World‘s Dental Newspaper 2022 / XXVI. ÉVFOLYAM – 3. SZÁM A FOGÁSZAT INFORMÁCIÓS MAGAZINJA DENTAL HÍREK ÁRA: 2500 FT PORTRÉ „A tanulási folyamatnak soha nincs vége...” ÚJ GENERÁCIÓ „Csak komplexen kezelek egy problémát...” MED. DENT MED. DENT Kalcifikált felső metszőfog kiszámítható gyökérkezelése 3D-nyomtatott fúrósablon segítségével Szemfog és kisőrlő formázása kismetsző aplázia részárással történő kezelése során 2022 / XIX. ÉVFOLYAM – 3. SZÁM FOGTECHNIKA FOGTECHNIKUSOK SZAKMAI LAPJA ÁRA: 2500 FT Egyedi fogszínkulcsok a CAD/CAM fogpótlások színének meghatározásához A „Majesthetik” csodája – a munkamenet Makó János és Péry Eleonóra interjú –páratlan páros CÍMLAPSZTORI LABORATÓRIUM LABORATÓRIUM A kézművesség tisztelete AKIKTŐL TANULHATUNK 2022 XIX. ÉVFOLYAM – 2. SZÁM A DP HUNGARY TEMATIKUS KIADVÁNYA ÁRA: 2500 FT IMPLANTOLÓGIA INTERJÚ INTERJÚ INTERJÚ „Mindennek az alapja egy tökéletes team megszervezése és működtetése…” Fontos a rendszeres megújulás KERESKEDELMI HÍREK Nézzünk előre! „Én a szakterületek harmonikus együttműködésében hiszek…” Dental Hírek 4 szám/év Fogtechnika 4 szám/év Digitális Fogászat 1 szám/év Dental Tribune 4 szám/év Implantológia 3 szám/év bankkártyás fizetés esetén Szakkönyvek ajándékba! 2023-as éves, mind az öt magazinunkra történő előfizetés esetén választhat fogászati szakkönyveink közül egyet ajándékba 2023 DENTAL PRESS AKCIÓ!
Online magazinok Az előfizetéshez kattintson IDE! 16 újság + 16 e-Journal 45%41 000 Ft helyett 23 500 Ft

PROF. DR. FAZEKAS ÁRPÁD

ÉLETMŰ DÍJÁNAK ÁTADÁSA

A Dental Press Lapkiadó és a Dental World szervezői az ENDODONTIA szakterületén kifejtett kimagasló és eredményes munkásságáért PROF. DR. FAZEKAS ÁRPÁD részére ÉLETMŰ díjat adományozott.

Szép és emlékezetes pillanat részesei lehettünk, melyet a tisztelet és az elismerés kifejezésének a lehetősége teremtett meg.

Ebből az alkalomból felidézünk néhány gondolatot abból a riportból, ahol Fazekas Professzor Urat az alábbi néhány mondattal mutattuk be Olvasóinknak:

„Professor emeritus dr. Fazekas Árpád az MTA doktora, a Konzerváló Fogászati Klinika volt igazgatója, korábbi dékánhelyettes, a Széchenyi Professzori Ösztöndíj, a Magyar Köztársasági Érdemrend Lovagkeresztje, a Pro Universitate és az Árkövy Emlékérem birtokosa, a modern endodoncia hazai „úttörője”, támogatója. A MET (Magyar Endodonciai Társaság) két cikluson át elnöke, valamint egyetemi jegyzetek, tan- és szakkönyvek szerzője.”

A díjat a Dental World Endodontia Kongresszusának megnyitóján, dr. Benyőcs Gergely, a Kongresszus programfelelőse szerette volna átadni, de közbejött váratlan körülmények miatt erre csak egy későbbi alkalommal kerülhetett sor.

Későbbi időpontban – a Dental Press irodájában – ünnepélyes keretek között köszönthettük a Professzor Urat, ahol az eredeti tervnek megfelelően dr. Benyőcs Gergely, a volt tanítvány adta át az ÉLETMŰ díjat.

Jelenleg mindennapjainak fontos részét jelenti magánbetegeinek az ellátása, a hazai és nemzetközi szakirodalom követése, alkalmanként PhD és DSc dolgozatok értékelése.

Óriási tudástárából még kapjanak, kaphassanak – legalább alkalmanként – „ízelítőt” volt tanítványai, kollégái és tisztelői is!

8 e-Journal ENDODONTIA
További eredményes munkát és sikereket a gyógyító munkájában, a magánéletében pedig sok szép és harmonikus évet kívánunk!
2023. OKTÓBER 12-13-14. „Találkozzunk Európa fogászati eseményén Budapesten dentalworld.hu

Vegye meg most kongresszusi jegyét Ultra Early Bird kedvezménnyel!*

1 témakörű kongresszus: 60 000 Ft

(esztétika, implantológia, endodontia, orthodontia) – Teljes ár: 100 000 Ft

All access: 90 000 Ft

(mind a négy témakörű kongresszusra belépést biztosít) – Teljes ár: 150 000 Ft

*A kedvezmény 2023. május 31-ig érvényes.

DENTAL
XXIII.
WORLD
Dr. Giovanni Olivi Olaszország Danielle Rondoni Olaszország Dr. Marco Mailonio Olaszország Dr. Francesco Amato Olaszország Dr. Andres Pascual Spanyolország Dr. Peter Vaughan Ausztrália Dr. Matthew Vaughan Ausztrália Dr. Joseph Choukroun Franciaország Dr. Nuno Pinto Portugália Dr. Giedré Kobs Litvánia Prof. dr. Mutlu Özcan Svájc Dr. Mile Churlinov Észak-Macedódina Dr. Ruth Perez Alfayate Spanyolország Dr. Maciej Czerwiński Lengyelország Dr. Andrea Franzo Olaszország Dr. Filipa de Almeida Portugália

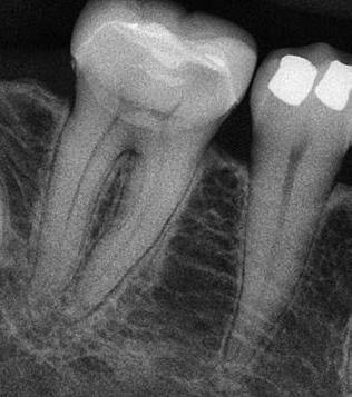
CÉLZOTT ENDODONCIAI MIKROSEBÉSZET

1. a-n. ábrák: Preoperatív CBCT-felvétel a bal alsó 6-os (3.6) fogról. Az axialis (a), coronalis (b) és sagittalis (c) nézeteken a mezialis és distalis gyökerek apicalis harmada körül sugáráteresztő zóna és ép buccalis corticalis csont látható. Egy olyan sablont terveztünk, amely jelezte a csontablak határait az apicalis terület pontos elérése érdekében (d). A mikrosebészeti bevatkozás során a sablont a helyére illesztettük (e), a csontablak határait megjelöltük (f) egy Piezotome CUBE LED kézi-darabba fogott fűrésszel, majd kivágtuk és eltávolítottuk (g és h) az apicalis területhez történő hozzáférés, illetve a mezialis és distalis gyökerek rezekciójának, retrográd preparációjának és retrográd gyökértömésének elvégzése érdekében (i). Végezetül a csontablakot visszaillesztettük és kollagén szivaccsal stabilizáltuk (j). A műtét után közvetlenül készített röntgenfelvétel a 3.6-os fogról (k). A kétéves kontroll során készített CBCT-felvétel: axialis (l), coronalis (m) és sagittalis (n) nézetek.

A hagyományos sebészeti eljárásokkal összehasonlítva az endodonciai mikrosebészet (endodonctic micro surgery; EMS) alkalmazásával egyre hatékonyabban lehet a különböző periapikális elváltozásokat kezelni. A különböző sebészeti technikák folyamatos fejlődése ellenére, a gyökércsúcs lokalizálása sok esetben még mindig kihívást jelenthet. Ez különösen igaz azokban az esetekben, ahol korlátozott a műtéti területhez való hozzáférés, vagy a gyökércsúcsot vastag, ép buccalis kortikális csont fedi, de akkor is, ha kihívást jelentő anatómiai akadályokkal állunk szemben. Jelen cikk célja egy olyan új műtéti eljárás ismertetése, amely során 3D nyomtatással készült sebészi sablonok segítségével történik meg a – gyökércsúcs feltárása érdekében végzett – csontablak kialakítása.

Bevezetés

A CAD/CAM technológiát és a 3D nyomtatást az 1990-es évek óta alkalmazzák a fogászatban. Ezeket a módszereket eleinte rögzített fogpótlások készítéséhez használták, ám legszélesebb körben a szájsebészetben terjedt el az alkalmazása. A módszert az implantátum-fészkek kialakítását és az implantátumok behelyezését elősegítő sablonok gyártásához használják a leggyakrabban1, 2 napjainkban. A fogászat egyre több területén alkalmazzák – a CBCT készülékek elterjedése óta – a CAD/CAM technológiát és a 3D nyomtatást. Az endodonciában a közelmúltban kezdték el a 3D nyomtatással készülő vezető sablonok felhasználását.1–3

12 e-Journal ENDODONTIA
Dr. Hugo Sousa Dias, prof. Paula Andrea Villa Machado, dr. Felipe Restrepo (Portugália, Kolumbia)
1a 1b 1c 1d

Az endodonciai kezelések során ezeket a sablonokat a kalcifikálódott gyökércsatornák feltárásához, valamint a rezekciókhoz szükséges csontablakok kialakításához használják. Az endodonciai mikrosebészet lehetőséget biztosít arra, hogy a sikertelen primer, nem sebészi endodonciai kezelés vagy sikertelen újrakezelés után továbbra is fennálló periapikális léziókat kezeljük.2–4

Az elmúlt évek során az endodonciai berendezések, eszközök és anyagok sokat fejlődtek, valamint új technikákat is bevezettek. Az innovációk segítik a gyökércsúcsi régió anatómiájának jobb megértését, és tovább növelik az endodonciai sebészeti beavatkozások sikerességét. Az előbbieknek köszönhetően az EMS egy hatékonyabb kezelési módszerré vált.2, 3, 5

Az endodonciai mikrosebészeti beavatkozások során elengedhetetlen, hogy a csontablak kialakítása célzott módon történjen, valamint az is, hogy a gyökércsúcs-rezekció során tekintettel legyünk a különböző anatómiai viszonyítási pontokra. A műtétek megtervezéséhez röntgen-, illetve CBCT-felvételek szükségesek. Ez az eljárás az operációs mikroszkópok alkalmazásával elérhető nagyításból és megvilágításból, valamint a mikrosebészeti műszerek megfelelő használatából adódó előnyöket kombinálja.1, 3, 5 Ez nagyban növeli a műtéti technika pontosságát és a kiszámíthatóságát, ezáltal jelentősen könnyebb a gyökércsúcsok lokalizálása, valamint a rezekcióelvégzéshez kisebb csontablak és kisebb rezekciós szög alkalmazása is elegendő. Ez lehetővé teszi a corticalis csont megkímélését, és emellett biztosítja a lehető legnagyobb gyökérfelszín, valamint a lehető legtöbb saját

foganyag megkímélését.3, 5 Továbbá a fogászati mikroszkópok alkalmazása még a retrográd preparáció és gyökértömés elvégzése előtt lehetővé teszi a különböző finom anatómia struktúrák, mint isthmusok, mikrorepedések, oldalcsatornák és egyéb, a gyökércsatornákra jellemző anatómiai variációk felismerését. Az endodonciai mikrosebészet fejlődéséből és a modern diagnosztikai eszközök alkalmazásából származó előnyök – a diagnosztikában, a tervezésben és az utánkövetésben használt CBCT felvételek – lehetővé tették a hagyományos módszerekhez képest magasabb sikeresség (85,0–96,8%) elérését.3, 5 Az endodonciai mikrosebészeti beavatkozások kimenetelét befolyásoló prognosztikai tényezők közé soroljuk a kezelésre szoruló fog pozícióját, a kezelendő elváltozás típusát, a retrográd preparáció során alkalmazni kívánt technikát és a választott retrográd tömőanyag, valamint a koronai restauráció típusát.6–8 A műtéti területhez való nehéz hozzáférés, a vastag buccalis csont és a különböző anatómiai akadályok (pl. foramen mentale, nervus alveolaris inferior, sinus maxillaris) jelenléte a beavatkozások kedvezőtlenebb kimenetelét okozhatják.2 A gyökércsúcsot körülvevő csontállományban bekövetkezett sérülés mértéke, valamint a csontablak mérete is hozzájárulhat a különböző posztoperatív szövődmények, például fájdalom és duzzanat kialakulásához. Azokban az esetekben, amikor a buccalis csontlemez még teljesen intakt, a sebészi beavatkozások során általában nagyobb csontablak kerül kialakításra, mivel ilyenkor a gyökércsúcs

13 VI. ÉVFOLYAM – 2023. 5. SZÁM
1e 1g 1h 1i 1j 1k 1f
pontos lokalizációja

sokkal nehezebb.2, 3, 5

Jelen cikkben leírt esetismertetések segítségével egy olyan korszerű endodonciai mikrosebészeti eljárást szeretnénk bemutatni, amely során 3D nyomtatással készült sablonokat alkalmaztunk a csontablak célzott kialakítása során.

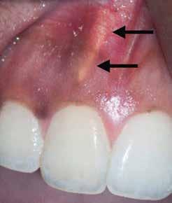
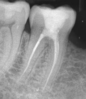
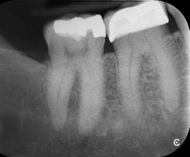
Esetbemutatás (1.)

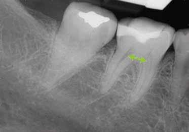
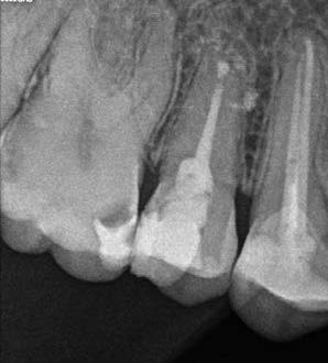
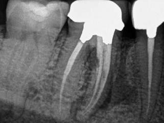
Egy 63 éves páciens korábban már kezelt bal alsó első nagyőrlőfogából (3.6) eredő mérsékelt fájdalom miatt kereste fel rendelőnket. A kórtörténetében panasza szempontjából releváns információ nem szerepelt. Az elkészült CBCT-felvételen a korábbi kezelések során észre nem vett, jelenleg feltáratlan meziobuccalis csatornát, valamint a mezialis és distalis gyökerek körül kialakult periapicalis elváltozást, és ezt a léziót borító intakt buccalis corticalis csontlemezt láttunk.

A fog revideálását és újbóli gyökértömését két ülésben végeztük el. A régi gyökértömés eltávolítását, valamint mindhárom gyökércsatorna megmunkálását és fertőtlenítését követően kalcium-hidroxid alapú gyógyszeres zárást helyeztünk a gyökércsatornákba. A gyökértömés egy héttel később került behelyezésre. A páciens panaszai két hónap elteltével sem szűntek.

Klinikai vizsgálat során vertikális kopogtatási érzékenységet jelzett. A fog körül mérhető szondázási mélység és a fogmobilitás fiziológiás volt. A CBCT-felvételen nem észleltünk a csontos regeneráció megindulására utaló jeleket (1. a–c. ábrák). A korábban gyökérkezelt, gyökértömött és revideált 3.6-os fog esetében az alábbi diagnózis került felállításra: periodontitis periapicalis symptomatica. A panaszokat okozó fog további ellátása során navigált endodonciai mikrosebészetet kívántunk alkalmazni. Az alsó állcsontról intraorális szkent (TRIOS, 3Shape) készítettünk, és a felszíni topográfiát tartalmazó STL fájlt, valamint a CBCT-felvétel készítése során nyert DICOM fájlokat a Blue Sky Bio szoftver segítségével egyesítettük. A sebészi sablon megtervezésére az így kapott háromdimenziós képet használtuk. A sablon kialakítása során arra törekedtünk, hogy a sablon egyértelműen meghatározza a gyökércsúcsi terület eléréséhez szükséges csontablak határait (1. d. ábra)

MÁR MAGYARORSZÁGON IS ELÉRHETŐ SPI

MEDENTIKA IMPLANTÁTUMOK

Magas Precizitású Implantációs RendszerInnovatív Komponensek

A beavatkozás során helyi érzéstelenítésben teljes vastagságú mucoperiostealis lebenyt képeztünk, és a sablon segítségével bejelöltük a preparálandó csontablak határait. Az ablak széleinek megfelelően Piezotome CUBE LED kézi-darabbal (ACTEON) a kortikális teljes vastagságában vágást ejtettünk, majd az így kapott csontlemezt (ablakot) eltávolítottuk (1. e–h. ábra), és ezt követően steril fiziológiás sóoldatba helyeztük. A rezekció elvégzését követően (1. i. ábra) a mezialis csatornákat ultrahangos eszközök segítségével (NSK) retrográd irányból preparáltuk, majd az így kialakított mélyedésbe retrográd gyökértömést készítettünk. A tömés anyagául az EndoSequence BC RRM Fast Set Putty-t (Brasseler) választottuk. A tömés elkészítését követően a csontablakot visszaillesztettük, és a stabilizálása érdekében a vágásoknak megfelelően kialakult résekbe kollagén szivacsokat (Collagen Tape, Zimmer Biomet) helyeztünk (1. j-k. ábra). A lebenyt 6/0-s Prolene varratokkal (Corpaul) rögzítettük.

A kétéves kontroll során elvégzett klinikai és radiológiai vizsgálat (CBCT-felvétel) a periapicalis elváltozások megszűnését és a corticalis csontállomány tünet- és szövődménymentes gyógyulását

PRECIZITÁS Német mérnökök és fogászati szakemberek dolgoznak együtt, hogy tökéletes protetikai rendszert alkossanak.

GYORSASÁG Idő- és pénzmegtakarítás a fogtechnikusok és a fogorvosok számára.

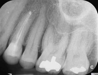
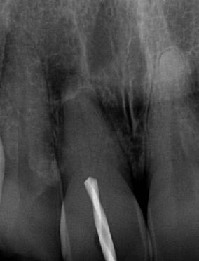
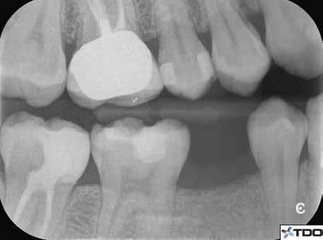
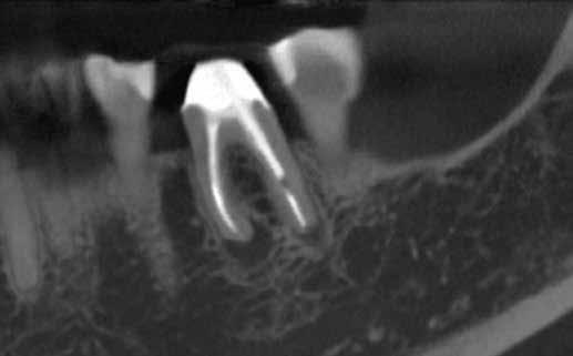
Egy 38 éves nőbeteg a korábban kezelt jobb felső második kisőrlőfogából (1.5) kiinduló mérsékelt fájdalom miatt jelentkezett rendelésünkön. A kórtörténetében jelen panasza szempontjából releváns információ nem szerepelt. A beteg a klinikai vizsgálat során vertikális kopogtatásra enyhe érzékenységet jelzett. A kérdéses fog körül mérhető szondázási mélység és a fogmobilitás fiziológiás volt. Periapicalis röntgenfelvételen egy, a fog gyökércsúcsán túl presszálódott betört gyökérkezelő műszerből származó eszközfragmentumot láttunk (2. a. ábra). A preoperatív CBCT-felvétel a buccalis csontlemez épségét igazolta (2. b-c. ábra). A fog revíziója öt hónappal korábban történt. A már előzőleg gyökérkezelt, gyökértömött, majd revideált 1.5-ös fog esetében a diagnózisunk periodontitis periapicalis symptomatica volt. A periapikális elváltozás kezelése érdekében navigált endodonciai mikrosebészeti beavatkozást végeztünk.

MADE IN GERMANY Tradicionálisan magas minőség.

PIACVEZETŐ

A felső állcsontról intraorális szkent (TRIOS) készítettünk, és az ezáltal kapott STL fájlt (2. d. ábra) a CBCT-felvétel során nyert DICOM fájlokkal a Zirkonzahn.Implant-Planner (Zirkonzahn) szoftverben egyesítettük. A sebészi sablont ebben a programban megterveztük, majd a Meshmixer (Autodesk) szoftver se-

MÁRKAKOMPATIBILIS GYÁRTÓ

Az összes ismert implantátum rendszerrel kompatibilis.

14 e-Journal ENDODONTIA
1l 1m 1n
®aktinedeM ÉLETHOSSZIG TARTÓ ANCIARAG

IPS

MEDENTIKA IMPLANTÁTUMOK MÁR MAGYARORSZÁGON IS ELÉRHETŐ

Magas Precizitású Implantációs RendszerInnovatív Komponensek

Medentika®

ÉLETHOSSZIG TARTÓ GARANCIA

PIACVEZETŐ

MÁRKAKOMPATIBILIS

GYÁRTÓ

Az összes ismert implantátum rendszerrel kompatibilis.

MADE IN GERMANY Tradicionálisan magas minőség.

GYORSASÁG

Idő- és pénzmegtakarítás a fogtechnikusok és a fogorvosok számára.

PRECIZITÁS

Német mérnökök és fogászati szakemberek dolgoznak együtt, hogy tökéletes protetikai rendszert alkossanak.

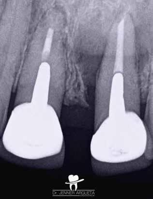
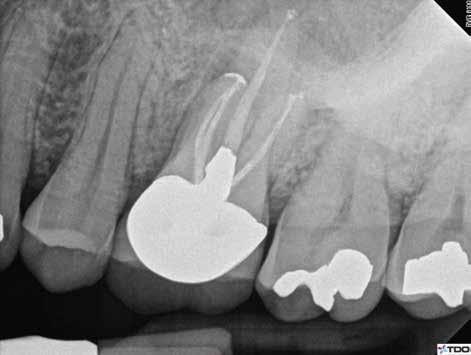
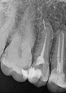
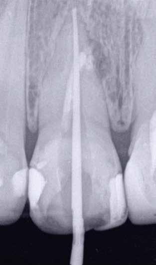
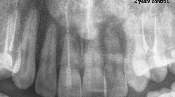
a-m. ábrák: Preoperatív röntgenfelvétel (a) és preoperatív CBCT-felvétel a jobb felső 5-ös (1.5) fogról, sagittalis (b) és axialis (c) nézetek. Az intraorális szkennelés során kapott STL-fájl (d). A 1.5-ös fog navigált endodonciai mikrosebészeti beavatkozásához tervezett sablon (e). A 1.5-ös fog navigált endodonciai mikrosebészeti beavatkozásához nyomtatott sablon (f). Teljes vastagságú mucoperiostealis lebenyt emeltünk (g). A sablont a helyére illesztettük, és a csontablak határait jelöltük (h). A fog gyökerén kívül eső, betört eszköz a 1.5-ös fog periapicalis régiójában (i). Az eltávolított betört eszköz (j). A rezekció, retrográd preparáció és a TotalFill BC RRM Fast Set Putty anyaggal elkészített retrográd gyökértömés utáni röntgenfelvétel (k). A lebenyt varratokkal rögzítettük (l). A kétéves kontroll során készített röntgenfelvétel (m).

gítségével tovább módosítottuk. Az így kapott sebészi sablon egyértelműen meghatározta a periapikális terület eléréséhez szükséges csontablak határait (2. e-f. ábra) Helyi érzéstelenítést követően teljes vastagságú mucoperiostealis lebenyt képeztünk, majd a buccalis csont feltárását követően (2. g. ábra) a sablon segítségével bejelöltük a preparálandó csontablak határait (2. h. ábra). A csontablak kialakítása során Piezotome CUBE LED kézi-darabot alkalmaztunk, majd a leemelését követően a betört eszközt megkerestük (2. i. ábra) és eltávolítottuk (2. j. ábra). A rezekciót ultrahangos megmunkáló fejekkel (ACTEON) végeztük, majd retrográd preparáció következett.

A retrográd gyökértömés elkészítése során TotalFill BC RRM Fast Set Putty-t (FKG) használtunk (2. k. ábra). A lebeny széleit 5/0-s Prolene varratokkal egyesítettük (2. l. ábra). A varratok a műtétet követően 72 órával kerültek eltávolításra. A beteg két évvel később kontrollröntgen készítése céljából érkezett rendelőnkbe. A vizsgálat során a fog tünetmentesnek és funkcióképesnek bizonyult (2. m. ábra).

Megbeszélés

A 3D nyomtatás endodonciai célú alkalmazása magában foglalja sebészi sablonok készítését, navigált endodonciai hozzáférés kialakítását, de az autogén transzplantációk, oktatási modellek és klinikai szimulációk során is megmutatkozik a relevanciája. Ez a módszer egy megalapozott kezelési lehetőséggé vált a fogászatban.1, 9 Bár a szakirodalom még mindig csak esetismertetésekre és preklinikai vizsgálatokra korlátozódik, a navigált sebészet a hagyományos módszerekkel összehasonlítva jóval pontosabbnak és sikeresebbnek tűnik.1, 10

A sebészi sablonok endodonciai célú használatát Pinsky és mtsai. javasolták először. Véleményük szerint ezáltal sokkal pontosabban és jóval konzisztensebb módon lehet a gyökércsúcsokat lokalizálni. Egy preklinikai vizsgálatban a sebészi sablonok segítségével kialakított csontablakok és a gyökércsúcsok között mért átlagos távolság átlagosan 0,79 mm-rel (± 0,33 SD) tért el a tervezettől, míg a szabad kézzel kialakított csontablakok esetében ugyanez az átlagos távolság 2,27 mm-nek mutatkozott (± 1,46 SD).4

16 e-Journal ENDODONTIA
2a 2b 2c 2d
2.
Advanced & Advanced SensorUnit Flexion A mikroszkóp család Bővebb információ, árajánlat kérés: (+36-1) 336-0884, 336-0885 E-mail: shop@sanidental.hu • Honlap, webshop: www.sanidental.hu

Az utóbbi időben olyan esetismertetések is elérhetővé váltak, amelyekben bizonyították, hogy a 3D nyomtatás hatékonyan képes támogatni a front és a rágó zónában található fogak ellátása során alkalmazott periapicalis sebészeti beavatkozásokat.2, 3, 11–13 A navigáció hatékonyan segíti a csontablakok kialakítását, és megkönnyíti a gyökércsúcsok lokalizációját. Ezáltal jelentős mértékben csökken a közelben található fontos anatómiai struktúrák sérülésének az esélye. Emellett lehetővé teszi a periapicalis térbe került gyökértömő anyagok pontos lokalizálását és eltávolítását.2, 9, 14

A periapicalis sebészetben Khoury és Hensher vezette be 1987ben a corticalis csontablak technikát (a csontablak visszahelyezése, „lid approach”). Ez a módszer lehetővé teszi az apicalis régió könnyebb megközelítését, és jobb rálátást biztosít a műtéti területre, továbbá ezáltal a periapicalis elváltozások felkutatása is sokkal könnyebbé válik. Előnye még az is, hogy alkalmazásával elkerülhetjük a nagyméretű csontdefektusok kialakulását.15

Bár az endodonciai mikrosebészet egy egyre kiszámíthatóbb és megbízhatóbb kezelési lehetőséggé vált, még mindig szembesülhetünk jelentős kihívást jelentő helyzetekkel. A moláris fogak gyökereinek rezekciója, vagy azoknak az eseteknek az ellátása, amikor a rezekálandó gyökér nagyon közel helyezkedik el olyan anatómiai struktúrákhoz – mint a szomszédos fogak gyökerei, a nervus alveolaris inferior, a foramen mentale, a sinus maxilla-

ris, az arteria palatina major –, továbbra is kritikus beavatkozásnak számítanak. 1, 2, 11, 16

A sebészi sablonok ezekben az esetekben különösen hasznosnak bizonyulhatnak: csökkentik az iatrogén sérülések kockázatát, továbbá elősegítik egy előre meghatározható átmérőjű, elhelyezkedésű és mélységű csontablak kialakítását.11, 12

Az endodonciai sebészeti beavatkozások sikeressége a gyökércsatorna-rendszer apikális oldalán kialakított bakteriális zárás minőségétől és a periapikális léziót határoló csontdefektus nagyságától függ.16 Következésképpen a csontablak kiterjedése „legyen olyan kisméretű, amennyire csak lehetséges, de emellett olyan nagyságú, amilyen mértékben az megalapozottan szükséges”. A beavatkozás sikerességének szempontjából ennek a kettős elvárásnak kiemelt jelentősége van.

Klinikai kutatásokban bizonyították, hogy a csontablak méretének nagysága és a defektus gyógyulásának sebessége között direkt összefüggés van: minél kisebb a csontablak, annál hamarabb megy végbe a gyógyulás.5 A kevesebb gyakorlati tapasztalattal rendelkező fogorvosok általában nagyobb méretű csontablakokat preparálnak.2, 16 A szabad kézzel történő csontablak kialakítása során a csontablak pozíciója – emberi hiba miatt – eltérhet az ideálistól, ilyenkor óhatatlanul az ép, egyébként megtartható csontszövet is eltávolításra kerül.1

Szakmai egyetértés van a navigált sebészet alkalmazásából származó előnyökről. A digitális visszafelé tervezés („backward planning”) leegyszerűsíti a sebészi beavatkozások kivitelezését, lerövidíti a műtéti időt, növeli a pontosságot, továbbá csökkenti a posztoperatív szövődmények kialakulásának a kockázatát.9, 14, 17 A navigált sebészet a kevésbé gyakorlott klinikusok számára is lehetővé teszi a komplikáltabb esetek ellátását. A módszer segítségével a kisebb sebészeti jártassággal rendelkező fogorvosok is előre jól kiszámítható eredményeket tudnak elérni.9, 14 Ennek a módszernek az alkalmazása azonban megköveteli a megfelelő technikai szakértelmet, amely jelentős részét a műtéti tervezés folyamatának elsajátítása jelenti.1, 11 A nyomtatott tárgyak pontossága nem csak a 3D nyomtató paramétereitől függ. Ezt a CBCT-felvétel és az intraorális szkennelés során készült felvételek minősége, és a tervező, valamint CAD szoftverek is jelentős mértékben befolyásolják.1 A felvételek elkészítése, feldolgozása, valamint a gyártás folyamata során is előfordulhatnak apróbb pontatlansági hibák.19 A technika sikeres alkalmazásához elengedhetetlen az erre alkalmas esetek megfelelő megválasztása, valamint a sablonok körültekintő megtervezése. A fém restaurátumok jelenléte például jelentős szórást eredményezhet a CBCT-felvételeken, és ezáltal a CBCT-felvételek és szkennelt modellek összeillesztése sokkal nehezebbé válhat. 2

18 e-Journal ENDODONTIA
2e 2f 2g 2h 2i

Fontos hangsúlyozni, hogy a navigált mikrosebészeti beavatkozások preoperatív tervezése rendkívül időigényes folyamat. Arra számítunk, hogy a digitális munkafolyamatok gördülékenyebbé válását követően az ehhez szükséges idő jelentős mértékben csökken.12

Az EMS végzéséhez szükséges eszközök, valamint a fájlok egyesítéséhez és a sablonok megtervezéséhez, majd 3D nyomtatásához alkalmas szoftverek beszerzése jelentős mértékben növelheti a beavatkozás elvégzésének költségeit is.1, 11 Ennek következtében a hagyományos módszerekhez képest sokkal nagyobb költségszinttel számolhatunk.11, 18, 19 A lehető legtöbb corticalis csont és a saját foganyag megőrzésének lehetősége a technika segítségével olyan egyedi előnynek tekinthető, mely megfelelő módon igazolhatja a beavatkozás elvégzéséhez szükséges hoszszabb tervezési időt, továbbá az ezzel járó magasabb költségeket.3

HYPERLIGHT EGYKEZES RÖNTGEN

Következtetések

A jelenleg elérhető eredmények alapján a navigált endodonciai sebészet egy jelentős potenciállal rendelkező módszernek tűnik. A sebészi beavatkozás sokkal egyszerűbbé és hatékonyabbá válik. Alkalmazásával minimalizálható a csontablak mérete, és a módszer jelentős mértékben megkönnyíti a gyökércsúcsok lokalizálását az ép buccalis csontlemez alatt, vagy az anatómiai struktúrák közelsége esetén. A beavatkozás során a lágy- és keményszöveti károsodás mértéke minimális, és az iatrogén ártalmak kialakulásának az esélye is sokkal kisebb. A klinikai alkalmazhatóság további alátámasztása érdekében azonban még további kutatások és vizsgálatok elvégzése szükséges.

Forrás: Roots 2021; 3 24–29 (A cikk készítése során felhasznált irodalom a szerkesztőségünkben megtalálható.)

Az Eighteeth Hyperlight könnyű, gyors, egyszerűen kezelhető Mindössze 0,4mm-es fókuszpontjának köszönhetően tűéles, pontos, magas felbontású röntgenfelvételeket készíthetünk vele.

Ergonomikus kialakítása lehetővé teszi, hogy egy kézzel kezeljük, miközben nem kötünk kompromisszumot a biztonságban sem.

Fókuszpont: 0,4mm

Súly: 1,8 kg

Expozíciós idő: 0,02-2 mp

19 VI. ÉVFOLYAM – 2023. 5. SZÁM
2j 2k 2l 2m
@volomshop
www.volomshop.com • shop@volomshop.com • 06-30-520-2000
FORINT T E R M É K I N F O
899 990

Napjainkban az endodonciai beavatkozások végzése

használjunk, amelyek megfelelnek a Grossman által

a használatukat a szakirodalomban leírtak is alátámasztják,

szakemberek számára is könnyen

során

során kiemelt jelentőséggel bír, hogy olyan sealereket

által

meghatározott kritériumok többségének, valamint

alátámasztják, és a természetes fogak megmentését előtérbe helyező

könnyen kezelhetőnek bizonyulnak.

A KALCIUM-SZILIKÁT ALAPÚ ANYAGOK ENDODONCIAI CÉLÚ

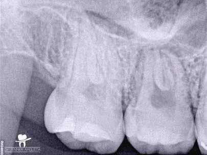
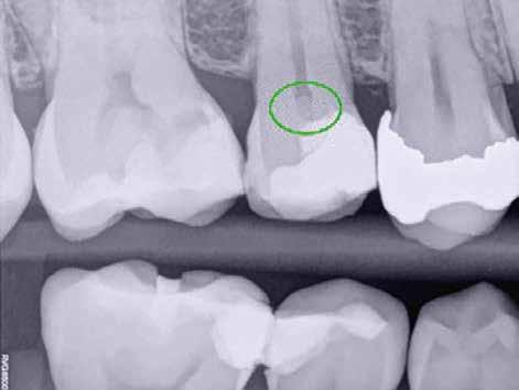
FELHASZNÁLÁSÁNAK LEHETŐSÉGEI

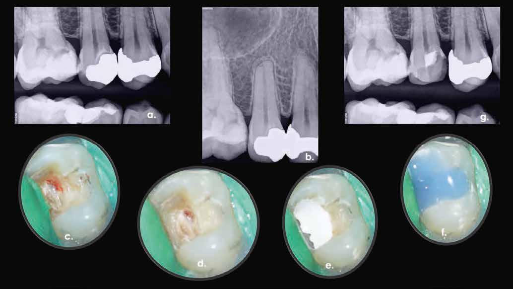
1. a–g. ábrák: A direkt pulpasapkázás lépései. Kiindulási bitewing-felvétel: A meglévő restaurátum közel helyezkedett el a pulpakamrához (a). Kiindulási periapicalis felvétel: Nincs periapicalis elváltozás fennállására utaló jel (b). A pulpaexpozíció (c). A vérzéscsillapítás céljából 20 másodpercen keresztül steril vattagombóccal történő kompressziót követően látható pulpaseb (d). A pulpasapkázás céljából behelyezett anyag, a széli részek tisztázása előtt készült felvétel (e). A röntgenárnyékot nem adó ideiglenes tömés behelyezése után készült felvétel (f). Az első ülés végén a röntgenárnyékot nem adó ideiglenes töméssel ellátott fogról készített röntgenfelvétel (g).

Bevezetés

A gyökércsatorna-rendszer fertőtlenítésének és megfelelő lezárásának kiemelt jelentősége van az endodonciai sikeresség szempontjából. A gyökércsatorna-rendszer komplexitása és a benne található anatómiai variációk sokszor jelentős kihívást jelenthetnek a gyökértömések elkészítése során a klinikusok számára. Ez is azt igazolja, hogy a megfelelő gyökértömő anyag kiválasztása kiemelt jelentőséggel rendelkezik.1 A kalcium-szilikát alapú gyökértömő anyagok a kerámiák azon csoportjába tartoznak, amelyek jelentős mértékben hasonlítanak az emberi szervezetben található hidroxilapatithoz, és ennek a tulajdonságuknak köszönhetően képesek jó bakteriális zárás biztosítására.2 Az egyik nagy előnyük a kiváló biokompatibilitásukból származik. A kalcium-foszfát tartalmuk megakadályozza a kilökődést provokáló sejtválasz kialakulását, valamint ennek köszönhetően jelentősen

javultak a biokémiai tulajdonságaik. A csontokban és a dentinben található apatithoz hasonló kristályos szerkezettel rendelkeznek.3

A kalcium-szilikát alapú anyagok összetevői közé tartozik az alumínium-oxid, a cirkónium-dioxid, a bioaktív üveg, az üvegkerámiák, a hidroxilapatit és a felszívódó kalcium-foszfátok.4

Az egyik legsikeresebben alkalmazott bioaktív anyagot, az ásványi trioxid aggregátumot (mineral trioxide aggregate, MTA) dr. Mahmoud Torabinejad az 1990-es években fejlesztette ki az Egyesült Államokban található, Loma Linda Egyetemen. Az elmúlt évek tapasztalatai alapján az MTA kitűnő lezárást biztosít, bioaktív, biokompatibilis és hidroxidionok felszabadítása miatt a környező szövetekben megemelkedett pH értéknek köszönhetően kiváló antibakteriális hatással is rendelkezik.5 A különböző típusú kalcium-szilikát alapú anyagokra is egyaránt jellemzőek az előbbiekben felsorolt tulajdonságok. Ezek az anyagok többféle konzisztenciában és kiszerelésben is elérhetőek. Az anyagválasztást mindig az adott klinikai szituáció befolyásolja. Indikációs területeik közé tartozik a direkt pulpasapká-

22 e-Journal ENDODONTIA

2. ábra: A hat hónapos kontroll alkalmával készített röntgenfelvételen vastag dentinhíd látható a pulpasapkázó anyag alatt.

3. ábra: A hároméves kontroll alkalmával készített röntgenfelvételen megfigyelhető a restaurátum pontos illeszkedése.

4. ábra: A direkt pulpasapkázás lépéseit bemutató videó (https://youtu.be/bfBksF35IjY).

5. ábra: A kalcium-szilikát alapú sealerek klinikai alkalmazását bemutató videó (https://youtu.be/h3p1mZlNUzM).

zás, csontdefektusok zárása, gyökértömések és retrográd gyökértömések elkészítése, perforációzárás, regeneratív endodonciai beavatkozások és reszorpció miatt kialakult defektusok ellátása.6

Direkt pulpasapkázás

Ha a kialakult pulpasebek ellátatlanul maradnak, először irreverzibilis pulpitis, majd pulpanecrosis fog bekövetkezni.7 Ennek megfelelően amennyiben a beavatkozásokat végző orvos nem kívánja a még élő pulpát eltávolítani (pulpectomia, exstirpáció), úgy a direkt pulpasapkázás számít a megfelelő terápiás választásnak. Ez különösen igaz a fiatal páciensek maradó fogainak esetében.8 A jelenleg elérhető – főleg sűrű konzisztenciájú – biokerámiák alkalmasak az ez

irányú felhasználásra. Ezek az anyagok azáltal képesek a dentinhez kötődni, hogy felszínen egy új hidroxilapatit réteget alakítanak ki. Ez annak köszönhetően, hogy az exponálódott pulpasebek közelében serkenteni tudják a sejtek toborzását és differenciálódását.9 Az MTA-hoz hasonló antibakteriális tulajdonságokkal is rendelkeznek a főbb kariogén baktériumokkal szemben (Streptococcus mutans, lactobacillusokkal),10 továbbá megfelelő a biokompatibilitásuk, és képesek reparatív dentinhidak képződését előidézni.

Esetbemutatás (1.)

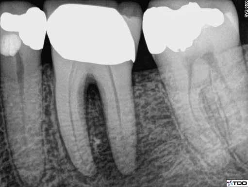
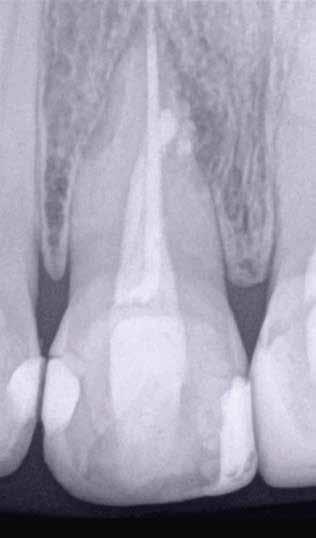
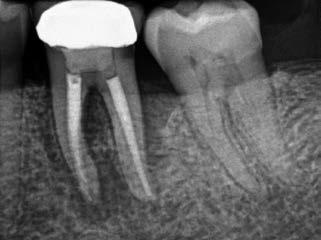
Egy 35-éves férfi beteg akut ellátás céljából kereste fel rendelőnket. A jobb felső második kisőrlő (15) fogát érő hideg inge-

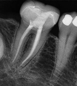
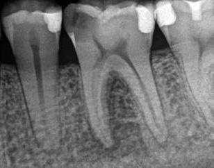
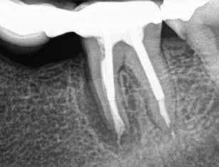
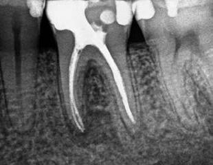
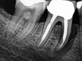
6. a–d. ábrák: A bal alsó második nagyőrlőfogon (3.7) kialakított konzervatív hozzáférési nyíláson keresztül végzett endodonciai kezelés lépései. A mezialis gyökér jelentős mértékben görbült. A gyökértömés hidraulikus kondenzációs technikával készült.

23 VI. ÉVFOLYAM – 2023. 5. SZÁM
2 3 4 5

8. ábra: Egy konzervatív endodonciai kezelést bemutató videó (https://youtu.be/M87d_Ycitcg).

7. a

b. ábrák: A jobb alsó első nagyőrlőfogon (4.6) lévő cirkóniumkoronán keresztül elvégzett endodonciai kezelés. A hozzáférési nyílás kialakítása a lehető legkonzervatívabb módon történt. A gyökértömés hidraulikus kondenzációs technikával készült.

rekre jelentkező, rövid ideig tartó éles fájdalomra panaszkodott.

A diagnózisunk reverzibilis pulpitis volt. Periapicalis elváltozás jelenlétét nem vélelmeztük. A fogban lévő amalgámtömés eltávolítása során körülbelül egy 3 mm átmérőjű pulpaseb keletkezett a buccalis pulpaszarvnak megfelelően (1. a–g. ábrák) Mivel nem tapasztaltunk jelentős vérzést, és a diagnózisunk reverzibils pulpitis volt, ezért a direkt pulpasapkázás elvégzése mellett döntöttünk.

A kavitást 2,5%-os nátrium-hipoklorit oldattal fertőtlenítettük, majd sűrű konzisztenciájú kalcium-szilikát alapú anyagot (CeraPutty, Meta Biomed) készítettünk elő a direkt pulpasapkázás elvégzéséhez. Az első kezelés végén röntgenárnyékot nem adó ideiglenes töméssel (NexTemp LC, Meta Biomed) zártuk

az üreget annak érdekében, hogy a direkt pulpasapkázásra használt anyag megfelelő pozícióját radiológiailag ellenőrizni tudjuk. A második ülés során kompozit tömőanyagból (Ezfil, Meta Biomed) direkt adhezív restaurátumot készítettünk.

A kezelést követően a beteg tünetmentes volt. A kérdéses fog a kontrollvizsgálatok során végzett szenzibilitástesztekre fiziológiás reakciókat adott. A hat hónapos kontroll alkalmával készített röntgenfelvételen a sérülésnek megfelelően széles dentinhidat észleltünk (2. ábra). A restaurátum a hároméves kontroll során is megfelelőnek bizonyult (3. ábra)

Gyökérkezelés

A gyökércsatorna-rendszer gyökértöméssel való zárása során elengedhetetlen a csatornák mindhárom dimenzióban való kitöltése. Ennek a követelménynek a guttapercha és eugenolalapú sealerek alkalmazásával járó hagyományos obturációs technikák választása esetén rendkívül nehéz eleget tenni, mivel ezekben az esetekben nem alakul ki adhézió a gyökércsatornák falai és a gyökértömésre használt anyagok között, valamint

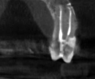
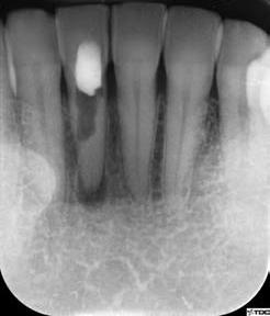
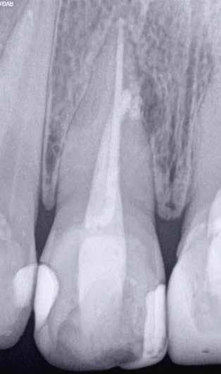
9. a–c. ábrák: A jobb felső nagymetszőfog (1.1) kezelése során készült radiológiai felvételek. Kiindulási röntgen: jól látható a gyökér-reszorpció és a gyökér oldalán elhelyezkedő radiolucens terület (a). A reszorpció szintjéig tartó munkahossz meghatározás (b). A gyökér-reszorpció ellátása kalcium-szilikát alapú anyag segítségével (c).

24 e-Journal ENDODONTIA
9a 9b 9c

10. ábra: A szónikus aktiválással behelyezett kalcium-szilikát alapú sealer használatát bemutató videó (https://youtu.be/ CmXNk2uh6Mw).

11. a–c. ábrák: A jobb felső nagymetszőfog (1.1) kezelése során készült radiológiai felvételek. Kiindulási röntgen: jól látható a gyökér-reszorpció és a gyökér oldalán elhelyezkedő radiolucens terület (a). A teljes munkahosszon levezetett mester poénról készült felvétel (b). Az endodonciai ellátás befejezését követően készített felvétel (c).

ezek az anyagok képtelenek a gyökércsatorna-rendszer belső anatómiáját teljes mértékben feltölteni. A bioaktív kalcium-szilikát alapú anyagok a fizikokémiai tulajdonságaiknak köszönhetően képesek ezeknek a kihívásoknak eleget tenni.11 Ezek a sealerek elsősorban kalcium-szilikátot, cirkónium-dioxidot,

tantál-oxidot, kalcium-foszfátot és egyéb töltőanyagokat tartalmaznak.12 Alkalmazásuk során az egy poén technika (single cone technique) használatát javasolják. Ezt az eljárást ebben az esetben általában hidraulikus kondenzációs technikának nevezik. Ez a módszer képes a gyökértömés elkészítésének

12. ábra: A jobb felső nagymetszőfog (1.1) kezelése során készült radiológiai felvételek. Kiindulási röntgen: jól látható a gyökér-reszorpció és a gyökér oldalán elhelyezkedő radiolucens terület (a). Az endodonciai ellátás befejezését követően készített felvétel (b). A hároméves kontroll alkalmával készített röntgenfelvétel a gyökér oldalán elhelyezkedő radiolucens terület teljes gyógyulását és a reszorpió megfelelő lezárását mutatta (c).

25 VI. ÉVFOLYAM – 2023. 5. SZÁM
10 11a 11b 11c 12a 12b 12c

(cemental tears) is észleltük.

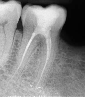
egyszerű obturációs technika, az anyag viszkozitási tulajdonságai és a pulpakamra viszonylag egyszerű tisztíthatósága a kezelésünk prognózisának veszélyeztetése nélkül teszi lehetővé az endodonciai beavatkozások lehető legkonzervatívabb módon történő kivitelezését. A bemutatott esetek ellátása során az Aurum Blue rendszert (Meta Biomed) használtuk a gyökércsatornák megmunkálására, míg a gyökértömés elkészítése során hideg hidraulikus kondenzációs technikát alkalmaztunk a kalcium-szilikát alapú CeraSeal (Meta Biomed) sealer felhasználásával (8. ábra).

Gyökér-reszorpció kezelése

folyamatát a végeredmény sikerességének csökkentése nélkül leegyszerűsíteni.13 A megfelelő bakteriális zárás biztosítására való képességük, a keményszövet-képződést indukáló bioaktív felszín kialakítására való alkalmasságuk, valamint a kiváló antibakteriális tulajdonságaik kifejezetten alkalmassá teszik ezeket az anyagokat, hogy hagyományos gyökérkezelések során gyökértömő anyagként alkalmazzuk őket.14 Az 5. ábra ezen sealerek alkalmazásának klinikai technikáját mutatja be.

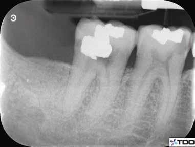
Esetbemutatás (2., 3.)

Mindkét esetben irreverzibilis pulpitis miatt vált szükségessé a fogak endodonciai kezelése (6. a-d. és 7. a-b. ábrák). Az esetek ellátása során mindvégig minimálinvazív megközelítést alkalmaztunk. A hozzáférési nyílás kialakításától kezdve az endodonciai kezelés befejezését követő csonkfelépítésig, minden beavatkozás ennek megfelelően történt.

A konzervatív módon kialakított hozzáférési nyíláson keresztüli végzett kezelések során az egyik legnagyobb kihívást a gyökértömés elkészítése jelenti. Az egyenes irányú hozzáférés hiánya, a korlátozott rálátás és a pulpakamra kisméretű hozzáférési nyílása miatt csökkent hatékonyságú tisztíthatósága mind olyan faktorok, amelyeket figyelembe kell venni, ha minimálinvazív hozzáférést alakítunk ki.15 A kalcium-szilikát alapú sealerek fizikai tulajdonságai lehetővé teszik a klinikusok számára, hogy leküzdjék ezeket az akadályokat. A viszonylag

Az iatrogén gyökérperforáció és a reszorpció miatt kialakuló károsodások olyan nemkívánatos szövődmények, amelyek eredményeképpen a gyökércsatorna-rendszer és a parodoncium között közvetlen kommunikáció jön létre. Ez hosszú ideig fennálló gyulladás és alveolaris csontveszteség kialakulását eredményezheti. Az ilyen jellegű elváltozások ellátása során az MTA bevezetése óta egyértelmű, hogy milyen hatást várunk el a kalcium-szilikát alapú anyagok alkalmazását követően. Ezekben az esetekben olyan anyagokra van szükségünk, amelyek alkalmasak a perforáció zárására, és ezzel egyidejűleg a szöveti regenerációt is képesek elősegíteni.16 A jelenleg elérhető bioaktív anyagok egy része előre kevert pasztaként putty konzisztenciában kerül kereskedelmi forgalomba. Ezek a sealerek alapvetően az MTA alternatívájának számítanak. Az előnyeik közé soroljuk a rövidebb kötési időt, a kiváló feldolgozhatóságot és az MTA-hoz hasonló biokompatibilitást.17

Esetbemutatás (4.)

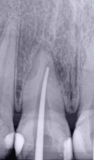
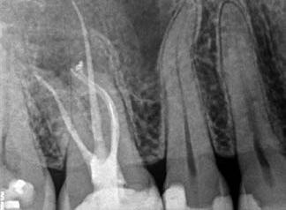
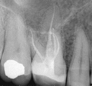
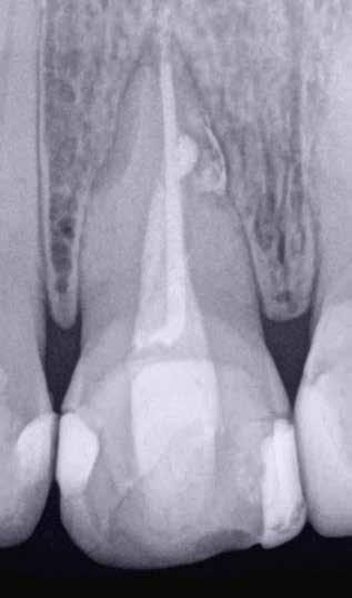
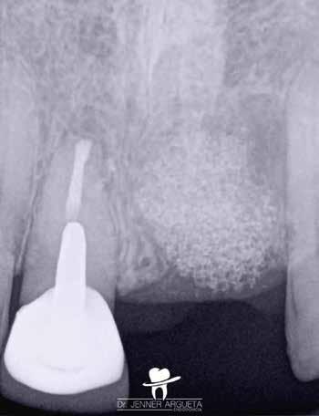
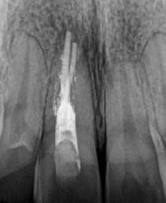
Egy 35 éves férfi beteg a középső metszőfogait érintő érzékenység miatt kereste fel a rendelésünket. A klinikai vizsgálat során akut periapicalis abscessust észleltünk. A radiológiai vizsgálat eredményeinek kiértékelés során a jobb felső nagymetszőfog (11) gyökerét érintő reszorptív elváltozást láttunk. A beteg egy néhány évvel korábban bekövetkezett, a kérdéses régiót érintő traumás sérülésről számolt be. A diagnózisunk pulpa nekrózis és akut periapicalis abscessus volt.

A gyökérkezelés megkezdését követően az első ülésben nem lehetett a gyökércsatorna teljes munkahosszán végighaladni.

A gyökérkezelő tűk egy bizonyos mélység elérését követően folyamatosan a gyökér mezialis oldalán elhelyezkedő reszorbeálódott területbe vezették magukat. Emiatt a reszorpció által okozott defektus zárása mellett döntöttünk (9. a–c. ábrák). A

26 e-Journal ENDODONTIA
13. ábra: A jobb és a bal felső nagymetszőfogakról (1.1, 2.1) készült kiindulási felvételek. Mindkét fog körül sugáráteresztő elváltozás volt megfigyelhető. A 2.1-es fog esetében a cement leválását 14. ábra: Az eltávolított 2.1-es fog alveolusába helyezett csontpótló anyag. 15. ábra: Az 1.1-es fogat ultrahangos eszközök segítségével retrográd irányból preparáltuk.
13 14 15 16 17
16. ábra: A retrográd gyökértömés elkészítése során CeraPutty sealert használtunk. 17. ábra: A műtét után készített röntgenfelvételen jól látható a megfelelően illeszkedő, homogén retrográd gyökértömés.

Specialists in dental anaesthetics

Developing pain-free dentistry around the world

Easy and painless dental procedures with ARTINIBSA

MONOPROTECT INIBSA

Dental Needles

Smooth injections to comfort your patients

Simple. Smart. Solutions.

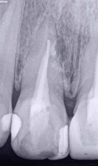
zárás során EQ-S eszközzel (Meta Biomed) szónikusan aktivált CeraSeal pasztát használtunk (10. ábra). A második ülés megkezdésére a reszorbeálódott területre helyezett anyag teljesen megkeményedett, és ezáltal lehetővé vált a gyökérkezelő tűk gyökércsatorna lumenének teljes hosszán történő végigvezetése. Az endodonciai kezelés befejezésekor szintén a CeraSeal anyagot használtuk sealerként (11. a–c. ábrák)

A hároméves kontroll alkalmával készített röntgenfelvételen a korábban a gyökér laterális részén elhelyezkedő radiolucens elváltozások teljes regenerációját észleltük (12. a–c. ábrák)

Endodonciai sebészet

18. a–c. ábrák: Sebzárás. Közvetlenül a varratok behelyezése után készült felvétel (a). Az ötnapos kontroll alkalmával, közvetlenül a varratszedés előtt készített felvétel (b). A közvetlenül a varratszedést követően készített felvételen a megfelelő ütemű sebgyógyulás jelei láthatóak (c).

19. ábra: A négy hónapos kontroll alkalmával készített röntgenfelvételen mindkét fogpozíciónak megfelelően a gyógyulás jelei láthatók (1.1: endodoncia műtét, 2.1: alveolus prezerváció).

Az ideális gyökértömő anyagoknak számos jól meghatározott kritériumnak kell megfelelniük. Ezek között szerepel a megfelelő biokompatibilitás, a kiváló bakteriális zárás, a baktericid, de legalább bakteriosztatikus hatás, valamint a periapicalis szövetek regenerációjának elősegítése.18 Évek óta az MTA számít az aranystandardnak az endodonciai sebészeti beavatkozások során elvégzett retrográd gyökértömések készítése során. Azt is fontos megjegyezni, hogy az MTA kezelhetősége nem a legmegfelelőbb. Ennek megfelelően putty és paszta formátumú előre kevert biokerámiák kifejlesztése során az volt a cél, hogy az MTA-hoz hasonló tulajdonságokkal rendelkezzenek, de a kezelhetőségük ehhez képest jóval kedvezőbb legyen.19

Esetbemutatás (5.)

Egy 50 éves férfi beteg jelentkezett a rendelőnkben a bal felsőt (2.1) érintő III-as fokú mobilitás és intraorális duzzanat miatt. A beteg a jobb felső nagymetszőfogánál jelentkező ráharapási fájdalomról is beszámolt (13. ábra.) A korábban már gyökérkezelt és gyökértöméssel ellátott 2.1-es fog esetében a diagnózisunk akut periapicalis abscessus volt. A mezialis és distalis gyökérfelszíneknek megfelelően a cement leválását (cemental tears), illetve a gyökér fracturáját észleltük. A korábban szintén gyökérkezelt és gyökértömött 1.1-es fog diagnózisa periodontitis periapicalis symptomatica volt.

A 2.1-es fogat eltávolítottuk, majd az alveolust csontpótló anyaggal (DM Bone, Meta Biomed) prezerváltuk, hogy a későbbiekben alkalmas legyen egy implantátum befogadására (14. ábra). Négy héttel a fogeltávolítást követően endodonciai sebészeti beavatkozást végeztünk a jobb felső nagymetszőfog gyökércsúcsának megfelelően. A fog gyökerét konzervatív módon rezekáltuk annak érdekében, hogy a lehető legoptimá-

lisabb korona-gyökér arányt biztosítsuk. A rezekciót követően az ultrahangos megmunkáló fejek segítségével a gyökércsatornát retrográd irányból preparáltuk (15. ábra), majd CeraPutty anyaggal retrográd gyökértömést készítettünk (16. és 17. ábrák)

A sebzárásra használt varratokat az ötödik posztoperatív napon távolítottuk el. (18. a–c. ábrák). A négy hónapos kontroll során készített röntgenfelvételen mindkét fog pozíciójának megfelelően a gyógyulás jeleit észleltük (19. ábra)

Következtetések

Napjainkban az endodonciai beavatkozások végzése során kiemelt jelentőséggel bír, hogy olyan sealereket használjunk, amelyek megfelelnek a Grossman által meghatározott kritériumok többségének, valamint a használatukat a szakirodalomban leírtak is alátámasztják, és a természetes fogak megmentését előtérbe helyező szakemberek számára is könnyen kezelhetőnek bizonyulnak. A saját fogak megmentése hatalmas értékkel bír, mind emberi, mind szakmai szempontból. Ez különösen igaz a fogászati implantátumok korában, amikor egy helytelenül felállított diagnózis a természetes fogak idő előtti elvesztéséhez vezethet. Az endodontusok a mindennapi munkájuk során a természetes fogak lehető legtovább történő megőrzésére törekednek. Az endodonciai célra is alkalmazható kalcium-szilikát alapú anyagok kiválóan alkalmasak az endodontusok munkájának elősegítésére, mivel többek között gyorsítják a szövetek gyógyulását, fokozzák a csontállomány mineralizációját, biokompatibilisek, kiváló bakteriális zárást biztosítanak, hidrofilek, és emellett könnyen kezelhetőek. A természetes fogak megmentéséhez elengedhetetlen a megfelelő anyagok és felszerelések használata, valamint az endodonciában jártas fogorvosok szakértelme.

(A cikk megírásához felhasznált irodalmi hivatkozások jegyzéke a szerkesztőségünkben elérhető.)

Forrás: Roots 2021; 3 32–37

28 e-Journal ENDODONTIA
18a 19 18b 18c

KAVOSZ SZÉCHÉNYI LÍZING MAX+

• 5 % fix kamatozás

• 2,5 % szerződéskötési díj

• Önerő 30 %

A-dec 500

Prémium kategóriás alsó/felső karos kezelőegység

5 É V GARANCIA

2003 ÓTA FOLYAMATOSAN ELNYERTE A LEGJOBB KEZELŐEGYSÉG FŐDÍJAT

Csak az a gyártó ad 5 év garanciát a termékére, aki biztos a gyártmánya minőségében

DELUXE vezérlés, 8+4 LED páciens lámpa, NSK NLZ LED-es mikromotor www.a-dec.com/virtual-tour www.dent-east.hu

Az A-dec kezelőegységek szervizeléséhez a vételár mindössze átlagosan 1,97%-át teszi ki az évente vásárolt alkatrész. Ebben az A-dec páratlan.

A-dec 230

Felsőkaros kezelőegység, DELUXE vezérlés, 8+4 LED vagy 4 LED páciens lámpa, NSK NLZ LED-es mikromotor

A-dec 200

Kompakt alsókaros kezelőegység

DELUXE vezérlés, 8+4 LED vagy 4 LED páciens lámpa, NSK NLZ LED-es mikromotor

A-dec/NSK elektromos, nyomaték szabályozott LED-es, ENDO funkciós mikromotor, rpm 100-40000
ÚJ MEGKÖZELÍTÉS! Dr. Faluhelyi Péter egynapos ergonomiai tréningje – ajándék a gép mellé
Keressen bennünket! Telefon: 06 20 943 8109 • 06 20 929 0701 • 06 20 922 8508 E-mail: mail@dent-east.com
„Amit ma megvehetsz, ne halaszd holnapra”
Ügyintézést biztosítunk

AZ ENDODONCIAI ELLÁTÁS SORÁN TÖRTÉNŐ

DENTINPREZERVÁLÁS LEHETŐSÉGEI

„Primum non nocere” [Elsősorban ne árts!] – Hippokratész

Bevezetés

A mai modern társadalomban a várható élettartam növekedésével a páciensek elvárják, hogy a fogaik egy életen át megmaradjanak. Az egészséges fogazat megtartása a megfelelő életminőség kiemelten fontos pillére.1–4 A gyökérkezelés általában az utolsó lehetőség egy fog megmentésére.

A gyökérkezelést igénylő fogak szerkezete gyakran meggyengül a szuvasodás vagy a repedések jelenléte miatt. Az orvostudományban már évek óta alkalmaznak minimál invazív sebészi technikákat5, azonban a fogászatban ezek sokkal lassabban terjedtek el. Az új technikák megjelenése és

fejlődése – a biológiai szempontok szem előtt tartása mellett –, lehetővé tette a minimál invazív módszerek endodoncia területén való elterjedését. Gyakorló fogorvosként mindanynyiunkban megvan az igény, hogy megismerjük a legújabb szakirodalmi ajánlásokat annak érdekében, hogy folyamatosan a legmagasabb színvonalú ellátást tudjuk biztosítani pácienseink számára.

Az endodonciai kezelések során végzett mechanikai megmunkálás hosszú távú hatékonyságára vonatkozóan nem találhatunk magas evidenciaszintű szakirodalmi adatokat. Ennek hatására a klinikusok nagyszámú eltérő protokollt alkalmaznak a kezeléseik során, és gyakran a számukra legcélravezetőbbnek tűnő módszert választják az eseteik

1. a–f ábrák: A cingulumon keresztül gömbfúróval kialakított hozzáférés a trepanációs kavitás labiális irányba történő túlzott mértékű kiterjesztését eredményezheti, és ez lényegesen növelheti a perforáció esélyét (a). A guttapercha átsejlik a lágyrészek alatt (b). Klinikailag igazolt perforáció (c). A preoperatív sagittális irányú CBCT-szeleten jól látható a labiális perforáció (d). Labiális irányú perforáció (fekete nyíl; e). A tényleges gyökércsatorna (piros nyíl; f).

2. a-b ábrák: A cingulumon keresztül gömbfúróval végzett trepanálás túlzott pericervikális dentin áldozattal, fordított tölcsér effektussal és perforációk kialakulásával járhat (fehér nyíl).

30 e-Journal ENDODONTIA
Dr. Bobby Nadeau, dr. Viraj Vora, dr. Dale Jung (Kanada, Egyesült Államok)
1a 1b 1c 2a 2b 1d 1e 1f

3. a-b ábrák: Attritio jelenléte esetén a hozzáférést az incisális él közepén alakítjuk ki. A szomszédos fogakra kiterjesztett kofferdám izolálással a klinikus hatékonyabban tudja felmérni a kezelendő fog gyökerének angulációját. (Dr. Bobby Nadeau esete). 4. ábra: A kúp alakú fúrók, mint például az EndoGuide fúró (SS White Dental; balról) csúcsa a hasonló méretű gömbfúró (jobbról) dolgozó részének felénél is kisebb.

döntő többségében. A gyökérkezelések hagyományos céljai között a minél jobb rálátást biztosító hozzáférési nyílás kialakítása, továbbá a gyökércsatornák egy bizonyos radiológiai kép eléréséhez szükséges méretre való feltágítása sokáig előtérbe került. A gyökértömés behelyezése után készült röntgenkontroll felvételeken látható radiológiai jeleket hosszú időn keresztül a gyökércsatorna-rendszer tisztítása alaposságának megítélésére, kvázi a „tisztaság indikátoraként” használták 6, 7 A gyökérkezelt fogak hosszú távú túlélését epidemiológiai módszerek segítségével vizsgálták 8–16. Ezen vizsgálatok eredményei arra engednek következtetni, hogy az egyes fogak túlélése és funkcionális terhelhetősége – tehát lényegében a pácienseink alapvető elvárásai – szempontjából a lehető legtöbb dentin megőrzése és a fogak megfelelő koronai restaurátummal való ellátása az endodonciai kezelések két legmeghatározóbb tényezője. A minimál invazív endodonciai szemlélet azokból a konzerváló fogászati követelményekből ered, amelyek teljesítése szükséges ahhoz, hogy a gyökérkezelt fogak hosszú időn keresztül be tudják tölteni a szájüregen belüli funkciójukat. Jelen cikk célja egy olyan eszköztár bemutatása, amely segítségével a klinikusok az endodonciai kezelések során képesek lesznek a lehető legtöbb dentin megőrzésére anélkül, hogy azzal a gyökércsatornák fertőtlenítésének hatékonyságát vagy a gyökértömés megfelelőségét kompromittálnák. A lehető legtöbb dentin megőrzésére a hozzáférési nyílás kialakítása és a gyökércsatornák tágítása során nyílik lehetőségünk.

A hozzáférési nyílás konzervatív kialakításának eszközei

A hozzáférési nyílás kialakítása definíció szerint a pulpakamra tetejének eltávolítását jelenti annak érdekében, hogy a gyökércsatorna bemenetek lokalizálása és a gyökércsatornák tisztítása ezáltal lehetővé váljon.18 Az endodonciai hozzáférés kialakításának alapelveit még abban az időben határozták meg, amikor az akkor rendelkezésre álló endodonciai eszközök csak korlátozott módon álltak rendelkezésre. Az ezeket az alapelveket megfelelő módon alátámasztó, megalapozott klinikai bizonyítékok hiányának ellenére, továbbra is ezeknek az elveknek a követését javasolják, úgy,

hogy emellett a kezelési idő és a kezelések komplexitásának redukálását próbálják előtérbe helyezni. A hagyományos irányelvek közé tartozik a pulpakamra tetejének teljes eltávolítása, valamint a pulpakamra aljának direkt rálátásból történő megfigyelhetőségének a biztosítása. Ez azt jelenti, hogy a pulpakamra falainak és az alapjának találkozásánál létrejövő élek, valamint a csatorna bemenetek a kezelő orvos számára egyszerre láthatóak.18 A közvetlen direkt rálátás szükségessége azon a koncepción alapult, amely az egyenes vonalú hozzáférés révén kívánta a klinikus számára kényelmes kezeléshez szükséges feltételeket biztosítani. Ez az elképzelés még azokból az időkből ered, amikor a nagyfokú nagyítás, a jó megvilágítás, a rugalmas, hőkezelt nikkel-titán (NiTi) eszközök és a cone-beam komputertomográfia (CBCT) még nem állt a kezelést végző orvosok rendelkezésre. Ezen új technológiák megjelenésével – ahelyett, hogy minden fogban egyforma „uniformizált” hozzáférési nyílás kialakítását javasolnánk – lehetőségünk nyílt arra, hogy a kezelendő fog tulajdonságait a lehető legnagyobb mértékben figyelembe vevő, egyedi hozzáférés kialakítására törekedjünk. Így képesek vagyunk a lehető legtöbb egészséges dentin megőrzésére, valamint a pácienseink számára elérhető lehető legjobb eredmény biztosítására.

A frontfogakban történő hozzáférési nyílás kialakítása

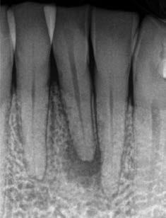
A frontfogakban a hozzáférési nyílás kialakítását hagyományosan a fogak linguális vagy palatinális felszínén, a cingulumon keresztül egy gömbfúró segítségével kezdjük. A linguálisan elhelyezkedő kiemelkedés teljes eltávolítása, továbbá a pulpaszarvak teljes feltárása egy háromszög alakú hozzáférési nyílást eredményez. 7 Ezt a módszert a fogak esztétikai megjelenésének megőrzése érdekében fejlesztették ki. Ez azonban időnként a saját foganyag indokolatlan eltávolításával, a trepanációs kavitás labiális irányba történő túlzott kiterjesztésével, perforációval, valamint a fog kritikus helyen, a pericervikális dentin (PCD) területén történő meggyengítésével jár (1. a–f és 2. a-b ábrák). 19 Felmerült, hogy a pericervikális dentin rendkívül fontos szerepet játszik a rágóerő gyökerek irányába történő továbbításában, és elképzelhető, hogy a gyökérkezelt fogak hosszú távú megtartása szempontjából a legfontosabb tényező az ép pericervikális dentin megőrzése lehet. 20 A cingulumon keresztül történő hozzáférési nyílás

31 VI. ÉVFOLYAM – 2023. 5. SZÁM
3a 3b 4

5. a–l. ábrák: Az incisális élen keresztül kialakított hozzáférés lehetővé teszi a pericervikális dentin megőrzését. Kalcifikáció esetén CBCT-felvétel készítése hasznosnak bizonyulhat a hozzáférési nyílás tervezése során (a–d) . Minden fog koronai helyreállítása a gyökértömés elkészítésével egyidejűleg történt. A négyéves (e–h) és a kétéves (i–l) kontrollok alkalmával készített röntgenfelvételeken teljes gyógyulás látható. Mindkét fog tünetmentes és funkcióképes volt. (Dr. Viraj Vora esetei)

Szuvas lézión keresztül történő hozzáférés (a). A fog koronai helyreállítása a gyökértömés elkészítésével egyidejűleg történt (b és c). (Dr. Dale Jung esete)

kialakítása során fennáll a fog labiális irányú perforációjának veszélye, mivel ilyenkor a foganyag elvételét labiális irányú fúrótartással kezdjük. Nemrégiben újragondolták a

hozzáférési nyílás kialakítási protokollt, amelyet már ko

rábban, két endodonciai közleményben közzétettek. Ezekben a frontfogak hozzáférési nyílásainak kialakítását inci

32 e-Journal ENDODONTIA
-
-
5a 5e 5i 6a 6b 6c 5b 5f 5j 5c 5g 5k 5d 5h 5l
6. a–c. ábrák:

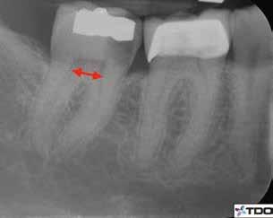
7. a–d ábrák: A szuvas lézió által meghatározott mezializált hozzáférés (a). A pulpakamra tetejének szintjében alátámasztatlan dentint tartalmazó terület, az ún. „párkány” (soffit), a fog szerkezeti integritásának növelése érdekében megtartásra került (piros nyíl; (b). Mindkét meziobuccális (c) és mindkét distobuccális csatornabemenet (d) esetében biztosított volt az egyenes vonalú hozzáférés. A fog koronai helyreállítása a gyökértömés elkészítésével egyidejűleg történt. (Dr. Bobby Nadeau esete)

sálisabb megközelítéssel javasolták. 21,22 Az új ajánlásban azt javasolják, hogy a frontfogakban történő hozzáférési nyílás kialakítását a cingulumtól távolabb, inkább az incizális él közelében kezdjük meg 19. Ez lehetővé teszi a lehető legtöbb pericervikális dentin megőrzését és kizárólag a legszükségesebb mennyiségű dentin kerül eltávolításra. Emellett ez a kialakítás a cingulumon keresztül történő hozzáféréshez képest egyenesebb hozzáférést biztosít a labiális és a linguális, vagy palatinális csatornákhoz, valamint lehetővé teszi a csatornák hatékonyabb tisztítását. 21 A fogak kopása esetén a hozzáférést az incisális „felszín” közepén alakítjuk ki (3. a-b ábrák) . A frontfogak kezelése során a megfelelő fúró kiválasztása is kiemelkedően fontos szereppel bír. A korábban ajánlott gömbfúrók használata ma már kifejezetten kontraindikáltnak számít. A gömbfúrók használatakor jellemzően egy fordított tölcsér alakú üreg kerül kialakításra. Ezekben az esetekben az üreg egyre szélesebb lesz, ahogy egyre mélyebbre hatolunk a fúrónkkal (2. a-b ábrák) 23 A gömbfúrók helyett olyan fúrók használata javasolt, amellyel elkerülhető lehet a trepanációs kavitás túlzott mértékű kiterjesztése, és amely segítségével a hozzáférési nyílás legszűkebb részét a pericer -

8. ábra: A modern rugalmas, martenzites, hőkezelt NiTi ötvözetből készült gépi tágítók előre meghajlíthatóak, így korlátozott hozzáférés esetén könnyebb a bevezetésük, továbbá a gyökércsatornák feltágítása is sokkal kiszámíthatóbbá válik. A DC Taper gépi tágító rendszerhez (SS White Dental) tartozó tágítók regresszív konicitással rendelkeznek.

vikális dentin területének megfelelően tudjuk kialakítani (4. ábra) 19 Ezáltal képesek vagyunk a lehető legnagyobb volumenű pericervikális dentinállomány (PCD) megőr -

33 VI. ÉVFOLYAM – 2023. 5. SZÁM
7a 7c 7b 7d

9. a–j. ábrák: A szuvas lézión és a meglévő restaurátumon keresztül történő mezializált és distalizált hozzáférés (a–f). A fogak restaurálása közvetlenül a gyökértömések elkészítése után történt. Az egyéves kontroll során készített röntgenfelvételen a gyógyulás jelei láthatóak, annak ellenére, hogy a gyökércsatornák feltágítása konzervatív módon történt, és a pulpakamra tetejének több mint fele megőrzésre került (g–j). (Dr. Viraj Vora esetei)

zésére. Ez azért fontos, mert a frontfogak funkcionális megterhelése során – a PCD-nek megfelelően elhelyezkedő területben – jelentős stressz ébred (5. a–l ábrák) 24 Szükség esetén egy CBCT-felvételt is készíthetünk. A 3D-s adatok jelentős mértékben segíthetik a klinikus munkáját a gyökércsatorna koronális vetületének vizualizálásában, és ennek alapján az egyenes vonalú hozzáférés biztosításához szükséges belépési pont meghatározásában (5.

a–l ábrák) . Ha a kofferdám izolálás a szomszédos fogakra is kiterjesztésre kerül, úgy a kezelést végző orvos sokkal magabiztosabban tudja a gyökerek angulációját vizualizálni (3. a-b ábrák)

A premoláris és moláris fogakban történő hozzáférési nyílás kialakítása

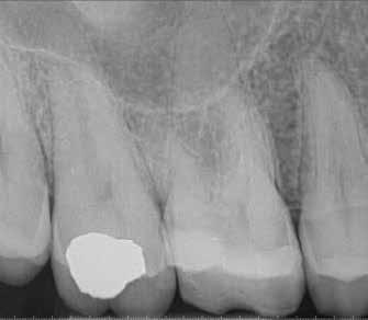
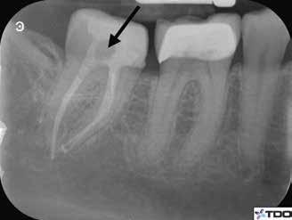
A meglévő restaurátumokon és szuvas léziókon keresztül történő hozzáférés (restorative- and caries-leveraged access)

Clark és Khademi a fog szerkezeti integritása szempontjából értéktelen anyagnak tekinti a tercier dentint, az alátámasztatlan zománcot, a szuvas foganyagot és a különböző restaurátumokat23. A hozzáférési nyílás kialakítása során ezeket a területeket érdemes felhasználni az ép dentin feláldozása helyett (6. a–c ábrák). A klaszszikus elvek alapján mindig az egyenes vonalú hozzáférés biztosítására kell törekedni, minden ezt akadályozó koronai foganyagot és restaurátumot el kell távolítani. Ezzel szemben a meglévő restaurátumokon és a szuvas léziókon, azaz a fog szerkezeti integritása szempontjából értéktelen anyagokon keresztül történő hozzáférés (leveraging) a megfelelő rálátás biztosítása mellett nagy mennyiségű ép dentin megőrzését is lehetővé teszi. Ez pedig a gyökérkezelt fogak töréssel szembeni ellenálló képességének és a hosszú távú megtarthatóságuknak az alapja.25,26

Ha a hozzáférési nyílást meglévő restaurátumokon vagy szuvas léziókon keresztül alakítjuk ki, akkor a pulpakamra tetejének szintjében alátámasztatlan dentint tartalmazó területek, ún. „párkányok” (soffit) maradhatnak vissza. Ezeknek a területeknek a megőrzése feltehetően javítja a fog szerkezeti integritását (7. a–d ábrák) 20 A fogászat fejlődésének ered-

34 e-Journal ENDODONTIA
9a 9d 9g 9i 9b 9e 9h 9j 9c 9f
R

10. a–f ábrák: Kiindulási állapot (a). A hozzáférési nyílást a meglévő restaurátumon (b) keresztül alakítottuk ki, így egy bukkális irányba néző üreg jött létre (c-d). A fogról készült röntgenfelvétel. A fog restaurálása közvetlenül a gyökértömés elkészítése után történt (e). Az egyéves kontroll során készített röntgenfelvételen a gyógyulás jelei láthatóak. A páciens panaszmentes volt, a fog pedig mindvégig funkcióban volt tartva (f). (Dr. Dale Jung esete)

11. a–f ábrák: Kiindulási állapot: röntgenfelvétel (a); intraorális fotó (b). A hozzáférési nyílás a szuvas lézión keresztül került kialakításra, így egy linguális irányba néző üreg jött létre (c). A bukkális csatornák feltárása érdekében az okkluzális felszínen egy különálló apró nyílás is kialakításra került (d). A pulpakamra teteje alatti terület meghajlított eszközök segítségével végeztük (e). A fogról készült röntgenfelvétel. A fog koronai helyreállítása a gyökértömés elkészítésével egyidejűleg történt (f). (Dr. Dale Jung esete)

36 e-Journal ENDODONTIA
10a 10d 11a 10b 10e 11b 10c 10f 11c 11d 11e 11f

Aoralscan 3

Intraorális szkenner

A leggyorsabb* Az egyik legpontosabb*

Wireless vagy vezetékes változat

Bevezető ár: most bruttó

4 999 000 Ft-tól

Tel.: 06-20-982-6148

info@nextdental.hu

www.nextdental.hu

MetiSmile Face Scanner

Túl a mosolyon

Automatikus intraorális lenyomat beillesztés.

Mandibuláris mozgáspálya mérés. Ortho szimuláció, arcvonások mérése és összehasonlítása.

Bevezető ár: most bruttó

2 499 000 Ft-tól

SCAN – DESIGN – PRINT

*Semmelweis Egyetem Digitális Munkacsoportja által összehasonlított 24 szkennerből minden kategóriában az Aoralscan 3 volt a leggyorsabb és az egyik legpontosabb (2023).

12. a–e ábrák: A koronával ellátott felső kisőrlőfog trepanálása során tölcsérszerűen szűkülő hozzáférési nyílás került kialakításra (stepped access), (a-b). A restaurátum anyagában szélesebb feltárást végeztünk, míg a saját foganyagot konzervatív módon távolítottuk el (c). A bukkállis csatorna feltárását követően az üreget óvatosan kiterjesztettük palatinális irányba (cd). A fogról készült röntgenfelvétel. A trepanációs üreg végleges zárása a gyökértömés elkészítésével egyidejűleg történt (e). (Dr. Bobby Nadeau esete)

ményeképpen számtalan új eszköz vált elérhetővé. A teljesség igénye nélkül ide tartoznak a modern rugalmas, martenzites, hőkezelt, regresszív konicitású NiTi gépi tágítók, amelyek előre meghajlíthatóak (8. ábra), a nagyobb fokú nagyítás és megvilágítás, valamint azok a kisméretű fúrók, amelyek lehetővé teszik a gyökércsatornabemenetek egyenes vonalú hozzáférés nélkül történő feltárását. A rendelkezésre álló kétdimenziós és háromdimenziós (CBCT) röntgenfelvételeket is fel lehet használni a hozzáférési nyílás tervezése és a pulpakamra mélységének megbecslése során. A 7. a–d és 9. a–j ábrák a meglévő restaurátumok és szuvas léziók által meghatározott, mezializált, illetve distalizált hozzáférést illusztrálják. A fogbélhez egy buccálisan vagy linguálisan elhelyezkedő szuvasságon vagy restaurátumon keresztül is hozzáférhetünk (10. a–f és 11. a–f ábrák)

Tölcsérszerűen szűkülő hozzáférés (stepped access)

13. a–d ábrák: Tölcsérszerűen szűkülő hozzáférési nyílás: a restaurátum anyagán belül szélesebb feltárás történt, egészen a foganyag eléréséig. A pulpaűr megnyitása konzervatív módon, a várható elhelyezkedésének megfelelő pozícióban történt (a–c). A fogról készült röntgenfelvétel. A fog koronai helyreállítása a gyökértömés elkészítésével egyidejűleg történt (d). (Dr. Dale Jung esete)

A tölcsérszerűen szűkülő hozzáférés kialakítását a front- és a rágófogak esetében is alkalmazhatjuk. Általában akkor választjuk ezt a típusú hozzáférési nyílás kialakítást, ha indirekt restaurátumokkal (pl. koronák vagy onlayek) rendelkező fogak kezelését kell elvégeznünk. Ilyenkor hozzáférési nyílást a restaurátumokon keresztül alakítjuk ki. A saját foganyag helyettesítésére szolgáló anya-

38 e-Journal ENDODONTIA
12a 12c 12b 12d 13a 13c 13b 13d 12e

14. a–f ábrák: A nagy kiterjedésű direkt restaurátummal ellátott felső nagyőrlő fogban tölcsérszerűen szűkülő hozzáférési nyílás került kialakításra (a-b). A restaurátum anyagán belül szélesebb feltárás történt (c). Először a meziobuccális pulpaszarv feltárását végeztük el (d). A további csatornák egyenes vonalú eléréséhez a hozzáférési nyílás kiterjesztésre került (e). A fogról készült röntgenfelvétel. A fog koronai helyreállítása a gyökértömés elkészítésével egyidejűleg történt (f). (Dr. Bobby Nadeau esete)

15. a–f. ábrák: A nagy kiterjedésű direkt restaurátummal ellátott felső nagyőrlő fogban tölcsérszerűen szűkülő hozzáférési nyílás került kialakításra (a-b). A restaurátum anyagának széles feltárása biztosította az akadálytalan hozzáférést a dentinhez (c-d). A fogról készült röntgenfelvétel. A fog koronai helyreállítása a gyökértömés elkészítésével egyidejűleg történt (e). A kétéves kontroll során készült röntgenfelvételen a gyógyulás jelei láthatóak. A páciens panaszmentes, a fog funkcióképes volt (f). (Dr. Viraj Vora esete)

gokon keresztül történő trepanálás során először egy szélesebb feltárást alakítunk ki, majd a saját foganyag elérését követően visszatérünk a minimálinvazív elvekhez (12. a–e és

13. a–d ábrák) 23 A kezelést végző orvos a hozzáférési nyílás

pulpakamrához viszonyított helyzetét a meglévő anatómiai ismeretei és a dentinben lévő színi eltérések alapján képes megbecsülni. A tölcsérszerűen szűkülő (stepped access) hozzáférési nyílás kialakításának keretei a direkt restaurátu-

39 VI. ÉVFOLYAM – 2023. 5. SZÁM
14a 14d 15a 15d 14b 14e 15b 15e 14c 14f 15c 15f

16. a–d ábrák: A széles pulpakamrákkal rendelkező fogak esetében dentinhíd megtartásával járó hozzáférési nyílás (dual-entry truss access) kialakítását javasoljuk (piros nyíl; a). A meziális csatornák feltárása a meziális lézión keresztül, a disztális csatornák feltárása pedig külön üregből történt (b). A dentinhíd (fekete nyilak; c-d) megtartása feltehetően hozzájárul a fog szerkezeti integritásának megőrzéséhez. A fog koronai helyreállítása a gyökértömés elkészítésével egyidejűleg történt. (Dr. Dale Jung esete)

mok anyagának eltávolítását is megengedik, ha ezáltal akadálytalanul hozzáférhetünk a még meglévő ép dentinhez, ugyanis így sokkal könnyebben meg tudjuk valósítani a pulpakamra minimál invazív módszerekkel történő feltárását (14. a–f és 15. a–f ábrák)

Dentinhíd megtartásával járó hozzáférés (truss access) A dentinhíd megtartásával járó hozzáférési nyílás kialakítása iskolapéldája a csatornabemenetek elhelyezkedése által meghatározott hozzáféréseknek. Kialakítása leginkább a meziálisan vagy distálisan elhelyezkedő szuvasságok vagy restaurátumok jelenléte esetén javasolt. A minimális csatornagörbülettel és széles pulpakamrával rendelkező, alsó moláris fogak ideálisak lehetnek a dentinhíd hátrahagyásával járó hozzáférési nyílás kialakítása szempontjából. A módszer segítségével a lehető leg-

17. a–f ábrák: Széles platformmal rendelkező alsó moláris fog (zöld nyíl; a és b). Először az okkluzálisan elhelyezkedő restaurátum került eltávolításra (c). Ezt követően végeztük el a nagyobb átmérővel rendelkező disztális csatornabemenet feltárását (piros nyíl; d). A meziális csatornák felkutatása a kiindulási röntgenfelvételen végzett hozzávetőleges mérési eredmények alapján történt (fekete nyilak; e). A dentinhíd megtartásával tovább tudtuk növelni a fog szerkezeti integritását (kék nyíl). A fogról készült röntgenfelvétel. A fog koronai helyreállítása a gyökértömés elkészítésével egyidejűleg történt (f). (Dr. Bobby Nadeau esete)

40 e-Journal ENDODONTIA
16a 16c 17a 17d 17b
16b
17e 17c 17f
16d

A magabiztos mosolygás nem csak álom!

Vágj bele a láthatatlan fogszabályozásba

és mosolyogj bátran!

Mosolyogj felszabadultan!

Hogy mi szól a ClearCorrect mellett?

kényelmes

hatékony

víztisztán áttetsző, vagyis

teljesen láthatatlan

fémmentes

könnyű tisztítani

Láthatatlan Egyszerű használat Kényelmes
Látogasson el weblapunkra a QR kód segítségével ACC017/it/00 04/19

18. a-b. ábrák: A dentinhíd megtartásával járó hozzáférési nyílás (truss access) kialakítása esetén a dentinhíd alatti terület mikrosebészeti ultrahangos megmunkáló fejek (a), valamint átöblítés és elszívás (b) segítségével fertőtleníthető. (Dr. Dale Jung esete)

19. a–h. ábrák: A kisméretű restaurátummal ellátott és az ép kisőrlő és nagyőrlő fogak esetén a hozzáférési nyílást célszerű a meziobukkális pulpaszarvnak megfelelően elkezdeni, majd ezt szükség esetén tovább kiterjeszteni. A disztális csatornákhoz történő egyenes vonalú hozzáférés a fog koronájának meziális oldala felől valósítható meg (piros szaggatott vonalak; c, e, h). Érdemes megfigyelni a tömőanyaggal lezárásra került trepanációs üreg pozícióját és angulációját (c, e, h). (Dr. Bobby Nadeau esetei)

több dentin megtartása mellett biztosítható a gyökércsatorna-bemenetekhez való egyenes vonalú hozzáférés. Az ily módon megőrzésre kerülő dentin a buccális és linguális dentinfalak összekötésével feltehetően növeli a fog húzó- és nyomóerőkkel szembeni ellenálló képességét (16. a–d ábrák)

A módszer kivitelezését gondosan meg kell tervezni kétdimenziós röntgen- (megfelelő szögbeállítású bitewing-felvétel) vagy szükség esetén CBCT-felvételek segítségével. Mivel az alsó nagyőrlő fogak disztális gyökércsatornái általában meziális irányba görbülnek, és emellett viszonylag széles átmérővel rendelkeznek, ezért először általában a disztális gyökércsatorna-bemenetek feltárását javasoljuk (17. a–f ábrák). A fogban esetlegesen jelenlévő restauratív anyag jelenléte is segítségünkre lehet a pulpakamra és a csatornabemenetek lokalizálásában. A kiindulási radiológiai felvételek alapján lehetőségünk van a disztális és meziális csatornabemenetek közötti távolság megbecslésére vagy megmérésére. A disztális csatornabemenetek lokalizálását követően, a becsült vagy mért értéket parodontális szonda segítségével a fog felszínére vetítjük a meziális bemenetek pozíciójának meghatározása érdekében. Ennek a módszernek a megfelelő kivitelezése nagy gyakorlatot igényel. A nem megfelelő végrehajtása esetén jelentős károkat tudunk okozni. A helytelen fúrótartás vagy a gömbfúrók alkalmazása iatrogén sérülések kialakulásához és a trepanációs kavitás túlzott mértékű kiterjesztéséhez vezethet. Kimondhatjuk még azt is, hogy ennek a módszernek a sikeres alkalmazása megkívánja az esetek gondos kiválasztását, és a megfelelő eszközök rendelkezésre állását (kiindulási röntgen- és adott esetben CBCT-felvételek, valamint kónikus fúrók). Amennyiben a gyökérkezelés során előre meghajlított kézi gyökérkezelő tűket és ultrahangos megmunkáló fejeket használunk, valamint az átöblítő-szerek is aktiválásra kerülnek, akkor ezen típusú hozzáférés nem kompromittálja a pulpakamra fertőtlenítésének minőségét (18. a-b ábrák)

A kisméretű restaurátumokkal ellátott, valamint az ép kisőrlő és nagyőrlő fogakban történő hozzáférési nyílás kialakítása

Az alsó és felső nagyőrlő fogak esetében általánosságban kijelenthetjük, hogy a pulpakamra legkoronálisabban elhelyezkedő pontja a meziobukkális pulpaszarv csúcsának megfelelően található. Ezt sok esetben az endodonciai kezelés megkezdése előtt készített szárnyas-felvételek (Bite-wing) segítségével igazolhatjuk (amennyiben ezt nem gátolja valamilyen meglévő sugárelnyelő tulajdonságokkal rendelkező anyagból készített koronai restaurátum). Ennek megfelelően célszerűnek tűnik a pulpakamra feltárását a meziobuccális pulpaszarv vagy csatornabemenet várható pozíciójának megfelelően elkezdeni. Amennyiben a további csatornabemenetek lokalizálása ezt megkívánja, úgy a pulpakamrába vezető hozzáférési nyílásunkat a későbbiekben kiterjeszthetjük. A nagyőrlő fogak általános anatómiai sajátságaiból adódóan, az alsó nagyőrlők disztális és a felső nagyőrlők disztobukkális és palatinális csatornáihoz történő egyenes vonalú hozzáférést általában az adott fog koronájának meziális oldala felől biztosíthatjuk.23 Következésképpen legtöbbször nincs szükség a pulpakamra tetejének teljes eltávolítására, mivel az előbb említett csatornákhoz való egyenes vonalú hozzáférés a pulpakamra felső disztális részének megőrzése mellett is biztosítható. A pulpakamra tetejének teljes eltávolítása a trepanációs kavitás túlzott mértékű kiterjesztéséhez, továbbá a pericervikális dentin meggyengüléséhez vezethet. A fentiek alapján kijelenthetjük, hogy a nagyőrlő fogakban kialakított konzervatív hozzáférési nyílások enyhén meziális irányba mutathatnak (19. a–h ábrák)

A centralitás elve alapján a pulpakamra a fog közepén, a gyökércsatorna-bemenet pedig a gyökér középső részén helyezkedik el, valahol a zománc-cement határ magasságában27. Ennek megfelelően az ép koronával rendelkező vagy kisméretű restaurátummal ellátott kisőrlő fogakban a hozzá-

42 e-Journal ENDODONTIA
18a 19a 19d 19e 19f 19g 19h 19b 19c 18b
ARANY MUNKÁIT RENDELJE MEG A SCHULZE LABORTÓL! Több mint 100 éves tapasztalat! INLAY, ONLAY ARANY KERÁMIA ARANY LEMEZ ARANY KOMBINÁLT MUNKA LEMEZ ARANYOZÁS GALVÁN MUNKÁK KESZÍTÉSE ELÉRHETŐSÉG: +36 20 366 10 80 schulzefogtechnika@gmail.com labor@dentartttechnik.hu www.dentarttechnik.hu +36 30 682 3827 Virtuális tervezés Ti és CoCr 3D nyomtatása Egyéni implantátumok Egyedi titán zsaluhálók Csontpótlás Csontpótlás eszközei Implantológiai fúrósablonok Műtéti segédeszközök 9024 Győr, Csokonai u. 10. Impl lantológiában és csontpótlásban az első!

férési nyílás kialakítását érdemes az okkluzális felszín közepén kezdeni (20. a–g ábrák). Bármely fog esetében érdemes lehet a hozzáférési nyílás kialakítása előtt egy parodontális szonda segítségével a zománc-cement határ magasságában végigkövetni a korona körvonalát annak érdekében, hogy ennek alapján pontosabban meg tudjuk becsülni a csatornabemenetek várható pozícióját.

A konzervatív gyökércsatornamegmunkáláshoz szükséges eszközök

A gyökércsatorna-megmunkálás céljai sokáig az 1970-es években megfogalmazott elképzeléseken alapultak Ez a szemlélet a legnagyobb hangsúlyt a mechanikai célkitűzések teljesítésére helyezte, „amely által lehetővé válik a hosszú távú sikeresség biztosításához szükséges biológiai feltételek megteremtése”.6, 28 Az elsődleges cél az volt, hogy a gyökércsatorna-megmunkálás befejezésekor a csatorna átmérője koronális irányból apikális irányba folyamatosan szűküljön. Ezek alapján azt javasolták, hogy a gyökércsúcsi átmérőt legalább #25-ös méretig, a csatornák apikális részét pedig legalább 8%-os konicitás eléréséig tágítsuk fel. Erre azért volt szükség, hogy az átöblítő folyadékok a csatorna mélyén is ki tudják fejteni a hatásukat, és hogy a falálló gyökértömések elkészítéséhez szükséges ellenállási forma is kialakításra kerüljön9.. Ez a szemlélet azon a feltevésen alapult, hogy az átöblítő folyadékok gyökércsatornák mélyén történő áramlása, és az apikális csatornaszakasz jól kondenzált hővel

meglágyított guttaperchával történő lezárása a gyökércsatorna-fertőtlenítés hatékonyságának növeléséhez, továbbá a gyökércsúcsi nyílás szivárgásának a biztos lezárásához fog vezetni. Ezt pedig a kezelés sikerességének előfeltételének tekintették.30 Ezekre a kezelés során elért állapotra vonatkozó paraméterekre csupán, mint helyettesítő végpontra tekinthetünk, mivel nem mutatnak közvetlen összefüggést a pácienseink szempontjából előnyös, hosszú távú klinikai végeredmény eléréséhez. A helyettesítő végpontok olyan specifikus paraméterek, amelyeket akkor szoktunk a különböző kezelések hatékonyságának kiértékelésére használni, amikor nincs lehetőségünk a tényleges klinikai kimenetelre vonatkozó paraméterek (klinikai végpontok) vizsgálatára. A helyettesítő végpontok alkalmazása során előfordulhat, hogy csupán nagyon általános eredményeket kapunk, és ez egyes betegek egyedi sajátosságaira vonatkozó összefüggések gyakran felderítetlenül maradnak. A fentiekben említett gyökércsatornák mechanikai megmunkálására vonatkozó célkitűzések nem haladták meg az abban az időszakban elérhető technológiai színvonalon lévő eszközökkel megvalósítható, de ma már korlátozottnak tekinthető eredményeket. Ezt a kort a merev rozsdamentes acélból készült kézi eszközök, továbbá a nagy átmérőjű kézi pluggerek használata, illetve a többszörös nagyítás és a megfelelő megvilágítás hiánya jellemezte.

Mára nyilvánvalóvá vált, hogy a fenti mechanikai célkitűzések teljesítése valójában rontja a gyökérkezelt fogak hosszú távú túlélését. A kifejezett mértékű dentineltávolítás a fog szerkezeti integritásának meggyengüléséhez, és ezáltal a fog elvesztéséhez vezethet. 31 Jelenleg nem áll rendelkezésünkre olyan magas evidenciaszintű vizsgála -

20. a–f ábrák: A bal felső első kisőrlőfogban pulpanecrosis került diagnosztizálásra (a). Az ép és a kis méretű restaurátummal ellátott fogak trepanálását célszerű az okkluzális felszín centrális részén megkezdeni (b–d). A fogról készült röntgenfelvétel. A fog koronai helyreállítása a gyökértömés elkészítésével egyidejűleg történt (e). A négyéves kontroll alkalmával készített CBCT-felvétel azt igazolta, hogy a keskeny hozzáférési nyílás és konzervatív feltágítás ellenére a gyökértömés a csatornákat teljes mértékben kitöltötte (f-g). A páciens tünetmentes, a fog pedig funkcióképes volt. (Dr. Dale Jung esete)

44 e-Journal ENDODONTIA
20a 20b 20c 20d 20e 20f 20g

ti eredmény, amely eldöntené, hogy a gyökércsatornák feltágítása során a hagyományos mechanikai feltágítási technikák vagy a mai elveket képviselő minimál invazív módszerek alkalmazása előnyösebb. A retrospektív vizsgálati eredmények alapján azt láthatjuk, hogy a gyökérkezelt fogak eltávolítására általában a fogak szerkezeti sérülése miatt (pl. a vertikális gyökérfraktúra) szokott sorra kerülni, és viszonylag ritkán áll valódi endodonciai sikertelenség a fogeltávolítás hátterében (21. a–f ábrák) 8–16 Ezek fényében – a gyökércsatornák fertőtlenítésére és a gyökértömések elkészítésére vonatkozó biológiai elvek figyelembevétele mellett – kijelenthetjük, hogy különös figyelmet kell fordítani a lehető legtöbb csatornafali dentin megőrzésére.

Gyökércsatornák mechanikai megmunkálása és gyökértömések elkészítése

A gyökércsatornák konzervatív módszerekkel történő megmunkálása során a kezelést végző orvos által alkalmazott eszközöknek van a legmeghatározóbb szerepük. Javasolt a nagy átmérővel rendelkező, merev eszközök használatának elkerülése. Ezeknek az eszközöknek az alkalmazása során jelentős mennyiségű dentin kerül eltávolításra, valamint használatuk növeli a perforációk és az eszköztörések bekövetkezésének valószínűségét. Ebbe a csoportba soroljuk a Gates–Glidden fúrókat, a széles gyökércsatorna-bemenet tágítókat, valamint a nagy átmérővel rendelkező, rozsdamentes acélból készült kézi gyökérkezelő-tűket. A koronai harmadban jelentős konicitást mutató, illetve a merev gépi tágítók alkalmazását sem javasoljuk. Általánosságban elmondható, hogy a gyökércsatornák minimál invazív módon történő biztonságos feltágításához a koronális harmadukban csökkenő konicitással (regresszív) rendelkező, nikkel-titán ötvözetből készült gyökérkezelő-tűk a legalkalmasabbak. Jelenleg több hőkezelt, regresszív konicitással rendelkező gépi, gyökértágító rendszer is elérhető a kereskedelmi forgalomban. Ezeknek a gépi gyökérkez-

(felül) külső átmérője a csatornabemenet szintjében (D16) sokkal kisebb, mint a legnépszerűbb gépi tágítóké (alul). (A kép forrása: © SS White Dental)

elő-tűknek a csatornabemenetek magasságában dolgozó részük jelentősen kisebb átmérővel rendelkezik, mint a jelenleg népszerűnek számító forgó- vagy reciprokmozgást végző rendszerekhez tartozó tágítóké. A napjainkban legszélesebb körben alkalmazott tágítók csatornabemenetek magasságában mért legnagyobb külső (névleges) átmérője 1,0–1,2 mm között mozog, míg az állandó 4%-os konicitással rendelkező gépi tágítók ugyanezen magasságban dolgozó részeinek külső átmérője pedig 0,84–0,89 mm körül változik. Ezzel szemben a legtöbb, az előbbiekkel megegyező csúcsi átmérővel rendelkező regresszív konicitású tágítóknak – ebben a magasságban dolgozó részei – legnagyobb külső átmérője megközelítőleg 0,64–0,69 mm közé esik. Ezek a legnagyobb külső átmérőre vonatkozó alacsonyabb értékek a lehető legtöbb saját foganyag megtartását jelentik (22. ábra)

Számos tényezőtől függ, hogy egy bizonyos csúcsi átmérő elérését követően a gyökércsatorna-megmunkálás befejezése, vagy a tágítás további folytatása mellett döntünk. A csatorna kiindulási átmérőjén, a gyökércsatorna

45 VI. ÉVFOLYAM – 2023. 5. SZÁM
21. a–f ábrák: A gyökércsatornák túlzott mértékű feltágítása vertikális gyökérfraktúrát idézhet elő.
21a 21b 21c 21d 21e 21f
22. ábra: A regresszív konicitású gépi tágítók

a-b ábrák: A felmelegített guttaperchával történő vertikális kompakció során a nem standardizált méretű közepes és vékony guttapercha csúcsok (medium-fine), (a), továbbá az extravékony (extra-fine) melegíthető pluggerek (b) használata javasolt.

görbületén, és a tágítás során érzett ellenállás mértékén kívül ezt az is befolyásolja, hogy a kezelést végző orvos mikor érzi azt, hogy a csatorna alkalmas egy megfelelő gyökértömés elkészítésére. Ebből a szempontból a fogor -

vosok eltérő konfortzónával rendelkeznek, ezáltal a legnagyobb apikális átmérő mérete kezelőorvosonként eltérhet. Mindazonáltal bármekkora végső apikális átmérő mellett is döntünk, a megmunkálás során folyamatosan a lehető legtöbb pericervikális dentin megőrzésére kell törekednünk.

A páciensek érdekeit szem előtt tartó endodonciai kezelések során a maximális mennyiségű saját foganyag megőrzése számít az egyik legfontosabb, általunk kontrollálható tényezőnek. Ennek a szempontnak nem szabad a gyökércsatornák megfelelő fertőtlenítésének és lezárásának a minőségét a háttérbe szorítani. A zárt végű és oldalsó nyílással rendelkező 30G-s átöblítő kanülök alkalmazása lehetővé teszi, hogy az átöblítő-folyadék a gyökércsatornák legmélyebb részeire is lejusson. Mivel a kevésbé kifejezett feltágítás eredményeként az átöblítés hatékonysága csökkenhet, ezért általában célszerű a kezelést több ülésben végezni, valamint az ülések között valamilyen gyógyszeres zárást (pl. kalcium-hidroxid paszta) alkalmazni. Ennek kiemelten jelentősége van azokban az esetekben, amikor a kezelendő fog panaszokat okoz, vagy sipoly-nyílás, illetve duzzanat észlelhető, továbbá ha röntgenfelvételen nagyobb méretű periapicális elváltozás látható. A meghajlítható 30G-s átöblítő kanülök – a gyógyszeres zárás anyagának gyökércsatornába való juttatása során is – hasznosnak bizonyulhatnak. Az átöblítő-szerek szónikus vagy ultrahangos aktiválása is tovább növelheti az elérhető fertőtlenítő hatást.

24. a–e ábrák: A bal felső első nagyőrlőfog mellett 12 mm-es szondázási mélységet mértünk (a-b). A csatornák megmunkálása konzervatív módon valósult meg, a hozzáférési nyílás lezárása pedig közvetlenül a gyökértömés elkészítése után történt (d). A hároméves kontroll során a páciens tünetmentes, a fog pedig funkcióképes volt. A szondázási mélység csökkent, és a röntgenfelvételen a gyógyulás jelei láthatóak (e). (Dr. Dale Jung esete)

46 e-Journal ENDODONTIA
23.
23a 23b 24a 24b 24c 24d 24e
A new flexibility mindset A new stability mindset A new esthetic mindset

25. a–d ábrák: Kiindulási állapot (a). Az ülések között a csatornákba gyógyszeres zárásként kalcium-hidroxid került (b). Konzervatívan megmunkált gyökércsatornák. A hozzáférési nyílás lezárása közvetlenül a gyökértömés elkészítése után történt (c). A hároméves kontroll során a páciens tünetmentes, a fog pedig funkcióképes volt. A kontroll röntgenfelvételen a gyógyulás jelei láthatóak (d). (Dr. Dale Jung esete)

A konzervatívan megmunkált gyökércsatornákban is elengedhetetlen a csúcsig érő, megfelelően tömörített, falálló gyökértömések elkészítése. A konzervatív gyökércsatorna-megmunkálási technikák alkalmazására áttérő klinikusok számára a legtöbb nehézség általában a gyökértömés elkészítése során jelentkezik.

Annak ellenére, hogy standardizált méretű guttapercha poénok állnak rendelkezésünkre, már többször tapasztaltuk, hogy ezeknek az illeszkedése nem volt tökéletes. A szerzők véleménye szerint a kisebb méretű, nem standardizált guttapercha poénok alkalmazása előnyt jelenthet a megfelelő mesterpoén kiválasztása során. A legtöbb minimál invazív módon megmunkált gyökércsatornát megfelelő módon le lehet tömni a lézerrel ellenőrzött, vékony-közepes (medium-fine) átmérőjű guttapercha csúcsok segítségével (23. a ábra)

A kisméretű melegítő fejekkel rendelkező eszközök használata ugyancsak kedvező lehet a gyökércsatornák meleg vertikális kompakcióval történő lezárása során (23. b ábra) . A 24. a–e és 25. a–d ábrákon látható röntgenfelvételek jól mutatják, hogy a lehető legtöbb gyökéri dentin megőrzése mellett is elérhető a periapicális léziók radiológiailag igazolt gyógyulása.

Következtetés

A páciensek akkor értékelik igazán az endodonciai kezelésekkel elérhető eredményt, amikor a kívánt kimenetel érdekében befektetett pénz és idő mérlegelése után úgy érzik, hogy valóban hasznos szolgáltatásban részesültek. Amikor egy gyakorló fogorvos egy számára újszerű endodonciai módszert kezd el alkalmazni a kezelései során, akkor a legfőbb gondot általában az új módszerbe vetett hit, illetve a számára korábban már bevált gyakorlat között fennálló kognitív disszonancia szokta jelenteni. A hozzáférési nyílás kialakításának és a gyökércsatornák megmunkálásának elvei az elmúlt években folyamatosan változtak. Az egyre kedvezőbbé váló új technikáknak köszönhetően a gyakorló fogorvosok ugyanazokat a klinikai lépéseket sokkal hatékonyabb munkamenet mellett tudják végrehajtani, úgy, hogy emellett a páciensközpontú eredmények sem szenvednek csorbát. A konzervatív endodonciai hozzáférés kivitelezését elősegítő CBCT-felvételek alapján megvalósuló dinamikus navigáció már a láthatár szélére került, így elmondhatjuk, hogy egy újabb igazán izgalmas évtized elé nézünk az endodonciában.

(A cikk megírása során felhasznált szakirodalmi hivatkozások jegyzéke elérhető a szerkesztőségünkben.)

Forrás: Roots 2021; 1 6–17

48 e-Journal ENDODONTIA
25a 25c 25b 25d

Teljes kezelés akár egy tűvel!

l Innovatív EDM gyártási technológiával készült extra rugalmas minőségi tűk

l Csiszoló hatás a tű teljes felületén, kiváló vágóélek, kisebb törmelék képződés, könnyebb tisztítás

l Progresszív hajlékonyság és törési ellenállás

l Endodonciai kezelésre és újrakezelésre egyaránt alkalmas

l Meleg vízbe téve a tű kiegyenesedik

l GPS Pathfinder kereső tű a gyökércsatorna nyílás és út megtalálásához és a nehéz esetekhez

l Nincs elakadás, nincs álút, az összes gyökércsatorna anatómia esetén használható

Induló szett ára:

bruttó 21  000 Ft

Single NiTi rotary file neo niti TELJESKÖRU ˝ ANYAGELLÁTÁS mobil: 06-30-203-6957 www.herbodent.hu 1025 Budapest, Szépvölgyi út 52. Tel.: 06-1-325-7129, tel./fax: 06-1-325-7220 E-mail: herbodent@herbodent.hu Fogászati kereskedelem Neolix gyártmányú neoniti gyökérkezelő tűk „Egyszerű, biztonságos, megbízható”
A1 A1 A1 GPS C1 afe, imple
mart #25 12 % #15 3 % #25 6 % #20 6 % #40 4 % www.neolix.eu Made in France Single NiTi rotary file
Egyedülállóan kialakított dörzsfelszín a tű egész felületén!
&
neo niti
M ade in Franc e

A dinamikus navigáció ezzel szemben hamarosan forradalmasíthatja

A statikus navigációtól eltérően itt nincs szükség fúrósablon előállítására. a tér 3 síkjában követhető a képernyőn, és valós időben 3D-ben

amennyi a bemenetalakításhoz

forradalmasíthatja mindennapi endodonciai gyakorlatunkat. előállítására. A CBCT adatok alapján megtervezve a fúró avatarja

3D-ben vezérelhető, hogy éppen annyi fogszövetet távolítsunk el, bemenetalakításhoz feltétlenül szükséges.

KALCIFIKÁLT FELSŐ METSZŐFOG

KISZÁMÍTHATÓ GYÖKÉRKEZELÉSE

3D-NYOMTATOTT FÚRÓSABLON SEGÍTSÉGÉVEL

Absztrakt

A szabadkézi preparációhoz képest bármilyen típusú navigáció nagyobb pontosságot eredményez, különösen nehezített esetekben. A CBCT és a fogászati szkennerek ma már széles körben elérhetők a fogorvosi rendelőkben vagy a praxisfüggetlen szolgáltatásoknál. A sebészi és nem sebészi endodonciai célú fúrósablonok tervezését és 3D-nyomtatását jellemzően a navigált implantátumbehelyezésre specializálódott cégek végzik.

Az alábbi esetbemutatás lépésről lépésre ismerteti egy felső nagymetsző kalcifikált pulpakamra és gyökércsatorna miatt kihívást jelentő gyökérkezelését.

A 3D-nyomtatott statikus guide használata – a megfelelő fúróval és CNC-persellyel – lehetővé tette a kiszámítható kezelést, miközben segített a dentin maximális megőrzésében. Kulcsszavak: navigált endodoncia, 3D-nyomtatott sablon, statikus guide, konzervatív endodoncia, minimálinvazív endodoncia, betegközpontú megközelítés.

Bevezetés

A pulpakamra és a gyökércsatorna-rendszer meszesedése (pulp canal calcification – PCC) fogászati traumák következményeként vagy időskorban fordul elő1-3, és általában a másodlagos és harmadlagos dentin képződése miatt alakul ki. Más forrás szerint a fogszabályozási kezelés is kiválthatja vagy felgyorsíthatja a másodlagos dentinképződést.4-5

Habár a PCC a pulpa vitalitását jelzi, ezért gyökérkezelést nem szabad elvégezni, hacsak nincs klinikai és radiográfiai bizonyíték a pulpanekrózisra, hosszú távon a nekrózis általában a PCC-vel rendelkező fogak 33%-át érinti.6 Ezekben az esetekben a hozzáférés és a megmunkálás nagy kihívást jelent, és nagy a hibaarány, különösen a keskenyebb fogaknál.7 Az Endodontusok Amerikai Társasága (American Association of Endodontists) a kalcifikált fogak kezelését „magas nehézségi” fokúnak minősíti.8 A beszűkült gyökércsatorna keresése még nagyítás mellett is túlzott dentineltávolításhoz vezethet, ami veszélyezteti a fog biomechanikai integritását és rontja a hosszú távú prognózist. A digitális fogászat széles körű elterjedése, különösen a 3D-szkennelés és -nyomtatás ma már lehetővé teszi a PCC által érintett fogak ellátásának új megközelítését egy olyan nyomtatott sablon segítségével, amely irányítja a fúrót.10-11 A következő esettanulmány ezt a technikát mutatja be.

Esetbemutatás

A rendelőnkbe referált 48 éves nőbeteg spontán fájdalomról és érzékenységről számolt be a jobb felső középső metszőfogra történő ráharapáskor. A kórtörténetben nem szerepelt trauma, illetve az általános anamnézis sem tárt fel releváns megbetegedést.

A klinikai vizsgálat során a 11-es fog elszíneződése volt látható, és purulens duzzanat a vestibulum területén a fog gyökércsúcsának megfelelően (1. ábra). A palpatio és percussio pozitív választ adott, míg a szenzitivitásvizsgálat negatív lett. A hozott röntgenfelvételen radiolucens lézió volt látható a 11-es fog körül. A fogbélűr kiterjedésének csökkenése, valamint a pulpakamra és a gyökércsatorna meszesedése is megfigyelhető volt. A diagnózis pulpanekrózis akut periapikális tályoggal.

A szituáció elmagyarázását követően vázoltam a páciensnek a

kezelési lehetőségeket, beleértve a nem sebészi gyökérkezelést és a sebészi endodonciai beavatkozás lehetőségét, valamint a fogeltávolítást és implantátumbehelyezést. A kockázatok átbeszélése után a páciens, megértve a lehetőségeket, az orthográd gyökérkezelést választotta. Az eset bonyolultsága miatt 3D-nyomtatott statikus navigációt javasoltam, és mivel 2 nap szükséges a tervezéshez és a nyomtatáshoz, sürgősségi incíziót és drenázst végeztem, valamint fájdalomcsillapítót (Diclofenac 50 mg, TID 3 napig, Novartis Magyarország) rendeltem. Kis térfogatú (5x5) CBCT-felvételt készíttettem (CS8100 3D, Carestream, Onex Corporation, Toronto, Ontario, Kanada), és lenyo-

52 e-Journal ENDODONTIA
1. ábra: Pre-op felvételek.

matot vettem (Aquasil Soft Putty Regular Set, Ultra Plus XLV, Dentsply Sirona, Milford, Egyesült Államok).

A laboratóriumban elkészült mintát beszkennelték (iMetric d104i, Imetric 4D Imaging, Courgenay, Svájc), majd a szkennelési adatokat tartalmazó STL-fájlok és a CBCT-adatokat tartalmazó DICOM-fájlok a CoDiagnostix tervezőszoftverbe (Dental Wings, Chemnitz, Németország) kerültek feltöltésre. A szegmentálás („zajmentesítés”) és az igazítás után egy virtuális fúrási útvonalat hoztunk létre, és ennek megfelelően beállítottuk a virtuális fúrót. A fúrási irányt úgy határoztuk meg, hogy a gyökércsatorna első látható részét érintse (2. ábra).

A 3D-nyomtatással elkészített fúrósablonba (Form 2, Formlabs, Somerville, USA) beillesztették a számítógépes vezérléssel (CNC) tervezett és elkészített egyedi fúróperselyt.

Navigált bemenetkialakítás és gyökérkezelés

A guide stabilitását először a mintán, majd szájban ellenőriztem, illetve az 1 mm-es pilot fúró (Meisinger pilot implantátum fúró – Hager & Meisinger, Neuss, Németország) dimenzióstabilitását is kontrolláltam (3., 4. ábra). A fúrás kezdőpontját a fúróperselyen keresztül vékony gyémántfúróval jelöltem a zománcon. A jelölőfúró átmérőjének – a persely megóvása érdekében – 1 mm-nél keskenyebbnek kell lennie. Ezután szabad kézzel átfúrtam a zománcot (5. ábra)

A dentint ismét a guide segítségével preparáltam (EndoExplorer EX1 – Komet Dental, Lemgo, Németország). A megfelelő hűtés érdekében a fúrást 1-2 mm-enként megszakítottam, a fúrót megtisztítottam és az üreget sóoldattal átöblítettem. A tervezett mélység elérése után a fúróvezetőt eltávolítottam és abszolút izolálást helyeztem fel, melyet folyékony kofferdammal tökéletesítettem (Ultradent, South Jordan, Utah, USA). A gyökércsatornát a fúró hegyéhez képest oldalirányban leltem fel (6-7. ábra)

A gyökérkezelés ezt követően eseménytelenül zajlott. Egy ülésben, 0.08 és 0.10 C-pilot fájlokkal (VDW, München, Németország) történő felderítést követően rozsdamentes acél kézi fájlokkal 25-ös méretig munkáltam meg a csatornát (ReadySteel® FlexoFiles, Dentsply Sirona Endodontics, Ballaigues, Svájc). Az átöblítéshez 5,25%-os nátrium-hipokloritot használtam a megmunkálás során (Chloraxid 5,25% – Cerkamed, Stalowa Wola, Lengyelország), és 17% EDTA-t a végső átöblítés során (EDTA Solution Cerkamed). Az átöblítő szerek között, illetve zárásként fiziológiás sóoldattal öblítettem. A gyökértömést meleg vertikális kondenzációs technikával végeztem el guttapercha

3. ábra: A nyomtatott fúrósablon stabilitásának ellenőrzése a mintán. A fúró dimenzióstabilitása is kontrollálásra került.

A nyomtatott guide in-situ. A szükséges interokkluzális helyigényt a fúrót bepróbálva ellenőriztük.

5. ábra: A bemenetkialakítás kezdőpontját a fúrósablonon keresztül jelöltük meg egy fúró segítségével. A zománc fúrása szabad kézzel jelölés alapján történt.

6. ábra. Fúrás a tervezett mélységig. Piros nyíl: a fúró hegyének helye. Zöld nyíl: a fellelt gyökércsatorna. Ez a pontatlanság egyezik az irodalmi adatokkal.

és AH Plus sealer (Dentsply Sirona Restorative, Konstanz, Németország) felhasználásával (8-10. ábra). Az orificiumot üvegionomer cementtel (Ketac Molar, 3M-ESPE, Seefeld, Német-

53 VI. ÉVFOLYAM – 2023. 5. SZÁM
2. ábra: A DICOM és az STL fájlok egyesítése, a fúrási útvonal virtuális meghatározása. 4. ábra:

ország) zártam. A pulpakamrát belső fehérítés céljából 2 hétig fehérítőanyaggal (Opalescence-Endo, Ultradent) töltöttem fel és üvegionomer cementtel fedtem. Újabb két hét várakozást követően üvegszál-erősítésű műgyanta csapot (1.35 mm Glasix, Nordin, Svájc) rögzítettem a fogba self-adhezív univerzális rezin cement segítségével (Rely-X Unicem, 3M-ESPE), és kompozit fedőtömést készítettem (Gradia® Direct, GC, Tokió, Japán).

A páciens panaszai a kezelést követően megszűntek. A 11. és 12. ábrán a hat hónapos, illetve a kétéves kontroll látható.

Megbeszélés

A modern endodonciai szemlélet a konzervatívabb, kevésbé invazív eljárások és technikák felé irányul, és egyre inkább áthatja a graduális és posztgraduális oktatást is. Ez a filozófia összhangban van az endodonciai kezelés általános céljaival, amely nemcsak az apikális parodontitis megelőzése és/vagy megszüntetése, hanem az egészséges fogszövet hosszú távú, illetve a természetes fogak élethosszig tartó megőrzése is. Ez annál is fontosabb, mert a lakosság élettartama növekszik, és a fogaknak több mint 80 évig kell szerepüket betölteniük.

A különböző fogpótlások, kompozit tömések és a kalcifikáció kihívásokat jelentenek, és olykor ellehetetlenítik a gyökérkezelés

kivitelezését. Ilyen összetett esetekben a navigált endodoncia hasznos segítség lehet általános fogorvosok, sőt még az endodontus szakorvosok számára is. Az elmúlt években számos publikáció igazolta a statikus navigáció megvalósíthatóságát, főleg kalcifikált frontfogak esetében.10,12 A bemutatott technika azért kiemelten érdekes, mert például az alsó metszőfogak esetében, ahol nem vagy csak részben fellelhető gyökércsatorna, a gyökérkezelés során 71%-os volt a hibaarány.7 A navigált endodoncia alapgondolata lehet a megoldás a trepanáció során bekövetkező kudarcok elkerülésére. Az operációs mikroszkóp széles körű elterjedése, a továbbfejlesztett hőkezelt nikkel-titán fájlok, a CBCT, valamint a statikus és dinamikus navigáció alkalmazása tette lehetővé a páciensközpontú ellátást a fent ismertetett esetben. Ennek az az oka, hogy a bemenetkialakítás kezdőpontját, illetve a fúrás mélységét és irányát is pontosan meghatározza a sablon. Elkerülhető a felesleges szöveteltávolítás, pont oda „lyukadunk ki”, ahová szeretnénk. Mindazonáltal figyelmet érdemel, hogy a szakirodalom a fúrás során előforduló pontatlanságokról számol be, ahogy az a 6. és 7. ábrákon is látható. A koronális előtágítás a bemenetkialakítás során különös jelentőséggel bír ennél a technikánál, mérete az észszerűség keretein belül minimalizálható változó kúposságú fájl használatával.

A statikus guide előállítása hasonló a navigált implantátumbehelyezéshez használt fúrósablon esetében megismertekhez. A navigált endodoncia pontossága elfogadhatónak tűnik, és lehetővé teszi a pontos hozzáférés kialakítását a gyökér apikális harmadáig a guide segítségével. Néhány tényezőt azonban figyelembe kell venni statikus navigáció tervezése előtt. Az interokkluzális térnek elegendőnek kell lennie a plusz 10 mm-es fúróhossznak, amelyet a fog síkja felett elhelyezkedő fúrópersely helyzete igényel. Ennek megállapítására a pilot fúrót a páciens szájába helyezve ellenőrizzük a rendelkezésre álló helyet.

A fém restaurátumok szintén problémát okozhatnak az ilyen típusú kezelések tervezése során, mivel az általuk okozott műtermékeket befolyásolhatják a DICOM fájlok pontosságát. Azonban kellő tapasztalat birtokában a szkennelési adatok (az intraorális vagy a minta szkennelésből nyert STL-fájlok) egymásra helyezése segíthet ennek kiküszöbölésében. A statikus guide-ok nem teszik lehetővé nagy sebességű kézidarabok használatát sem. A fogzománc, kerámia-, illetve fémrestaurátumok átfúrásakor a megfelelő hűtés okozhat problémát. Emiatt érdemes a fúrás kezdőpontját a guide fúróperselyén keresztül megjelölni, majd a sablont eltávolítva szabad kézzel preparálni a dentinig. A dentin elérésekor a guide ismét használható a megfelelő fúróval.

54 e-Journal ENDODONTIA
7. ábra: A fúró pozíciójának és a fúrásmélységnek az ellenőrzése. 8. ábra: Tűs kontroll (Sirona Heliodent Plus/Sirona Xios XG Supreme, Sirona Dental Systems, Bensheim, Németország) 9. ábra: A gyökértömés készítése.
Hozza ki a maximumot! EyeZoom Max™ 1135 Budapest, Frangpán utca 66/B. +36 1 236 4000 info@newyorkdental.hu orascoptic.newyorkdental.hu

A statikus navigáció fő hátránya, hogy akut esetekben nem alkalmazható, hisz a kezelés megkezdése előtt meg kell várni, hogy marással vagy nyomtatással elkészüljön a guide.

A fentieket figyelembe véve látható, hogy a statikus navigáció bizonyos helyzetekben segíthet, de – legalábbis egyelőre – nem mindegyikben. A technika azonban segít minimalizálni a fogászati kezelések során azt a „nyomot”, amelyet a fogon hagyunk. Ez annál is fontosabb, mivel a mai napig nem ismerünk olyan anyagot, amely az egészséges dentin biomechanikai jellemzőivel rendelkezne. Ezért a saját foganyag megőrzése különösen a pericervikális régióban elengedhetetlen, hogy a hosszú távú funkcionális és parafunkcionális terhelésnek való ellenállást biztosítsuk, valamint szükség esetén esetleges további beavatkozások lehetőségét meghagyjuk.

A dinamikus navigáció ezzel szemben hamarosan forradalmasíthatja mindennapi endodonciai gyakorlatunkat. A statikus navigációtól eltérően itt nincs szükség fúrósablon előállítására. A CBCT adatok alapján megtervezve a fúró avatarja a tér 3 síkjában követhető a képernyőn, és valós időben 3D-ben vezérelhető, hogy éppen annyi fogszövetet távolítsunk el, amennyi a bemenetalakításhoz feltétlenül szükséges. Ezen új eszközök azonban nem helyettesíthetik a megszerzendő szakértelmet, a körültekintő diagnosztikát és a kezelés megtervezését. A mini-

Irodalom

1 Nikoui M, Kenny DJ, Barrett EJ. Clinical outcomes for permanent incisor luxations in a pediatric population: III—lateral luxations. Dent Traumatol 2003;19:280-5

2 Andreasen FM, Zhijie Y, Thomsen BL, et al. Occurrence of pulp canal obliteration after luxation injuries in the permanent dentition. Endod Dent Traumatol 1987;3:103-15.

3 Foreman PC, Soames JV. Structure and composition of tubular and non-tubular deposits in root canal systems of human permanent teeth. Int Endod J 1988;21:27-36.

4 Delivanis HP, Sauer GJ. Incidence of canal calcification in the orthodontic patient. Am J Orthod 1982; 82:58-61.

5 Bauss O, Rohling J, Rahman A, et al. The effect of pulp obliteration on pulpal vitality of orthodontically intruded traumatized teeth. J Endod 2008;34:417-20.

6 Oginni AO, Adekoya-Sofowora CA, Kolawole KA. Evaluation of radiographs, clinical signs and symptoms associated with pulp canal obliteration: an aid to treatment decision. Dent Traumatol 2009;25:620–5.

7 Cvek M, Granath L, Lundberg M. Failures and healing in endodontically treated non-vital anterior teeth with post-trau-

málinvazív endodontia mindemellett nem lehet öncélú és nem szolgálhatja a közösségi médiában való szereplést. A cikk elkészítésében közreműködött: dr. Molnár Bertold (coDiagnostix tervezés) és Mühl Attila (3D nyomtatás).

Cikk eredeti megjelenése: Predictable root canal treatment of calcified maxillary incisor using a 3D-printeddrill guide. International Journal of Oral and Dental Sciences, Volume 4, Issue 2, December 2019.Page 7-12.

matically reduced pulpal lumen. Acta Odontol Scand 1982;40:223-8.

8 American Association of Endodontists. Endodontic case difficulty assessment and referral. Colleagues for excellence. Colleagues for excellence 2005. Available at: https://www.aae.org/ specialty/wp-content/uploads/sites/2/2017/06/casedifficultarticle.pdf. Accessed: September 2019

9 Lang H, Korkmaz Y, Schneider K, et al. Impact of endodontic treatments on the rigidity of the root. J Dent Res 2006;85:364–8.

10 Buchgreitz J, Buchgreitz M, Mortensen D, Bjørndal L. Guided access cavity preparation using cone-beam computed tomography and optical surface scans – an ex vivo study. Int Endod J 2016;49:790-5.

11 Zehnder MS, Connert T, Weiger R, Krastl G, Kühl S. Guided endodontics: accuracy of a novel method for guided access cavity preparation and root canal location. Int Endod J 2016;49:966-72.

12 Connert T, Zehnder MS, Weiger R, Kühl S, Krastl G. Microguided endodontics: accuracy of a miniaturized technique for apically extended access cavity preparation in anterior teeth. J Endod 2017;43:787-790.

56 e-Journal ENDODONTIA
10. ábra: Kontroll röntgenfelvétel az üvegszálas csappal. – 11. ábra: Hat hónapos kontroll. 12. ábra: Kétéves kontroll.

Biodentine™

Fordítsa vissza a visszafordíthatatlan!

Visszafordíthatatlan fogbélgyulladás

A Biodentine™ képes a visszafordíthatatlan fogbélgyulladás tünetei ellenére is megmentei a fogbelet*

A Biodentine™ egyedülálló elo˝nye, hogy a visszafordíthatatlan fogbélgyulladásos esetek 85%-át** képes visszafordítani:

• A Vital Pulp Therapy leheto˝vé teszi a teljes dentinhíd kialakítását

• Minimálisan invazív kezelés a fogstruktúra mego˝rzéséért

• Azonnal fájdalomcsillapítás a beteg kényelméért

• Bio Bulk töltési eljárás az egyszeru˝sített protokollért

Természet alkotta innováció

További információért látogassa meg weboldalunkat www.septodont.com

* Ha a teljes pulpaamputáció után sem érhető el hemosztázis, pulpectomia és gyökérkezelés végzendo˝, amennyiben a fog helyreállítható (ESE Position Paper,Duncan et al. 2017) ** Taha et al., 2018 ÚJ

AUTOGÉN FOGTRANSZPLANTÁCIÓT KÖVETŐ KONZERVATÍV ENDODONCIAI TERÁPIA

Az eset három év távlatából történő kiértékelése

Bevezetés

Az endodonciai kezelések célja, hogy a pácienseket tünetés panaszmentessé tegyék, továbbá a kezelt fogak funkcióképességét és az azokat körülvevő periapikális szövetek egészségét hosszú távon biztosítsák. Néha azonban olyan esetekkel is találkozunk, amikor a fogak keményszöveti károsodása már olyan mértékű, hogy az nem teszi lehetővé a saját természetes fogak megőrzését. Ezekben az esetekben terápiás alternatívaként a koronahosszabbítás, az autogén fogtranszplantáció vagy az implantátumbeültetés elvégzése is felmerülhet. Ezeknek a beavatkozásoknak a célja az okklúzió stabilitásának a fenntartása és a meglévő rágóképesség megőrzésének biztosítása.

Az autogén fogtranszplantáció azt jelenti, hogy a páciens fogívéből eltávolított fogat még ugyanabban az ülésben, ugyanennek a páciensnek a szájüregében lévő, másik friss extractiós sebbe helyezzük. Az átültetést nem csak a meglévő extractiós sebeknek megfelelően végezhetjük, hanem sebészileg kialakított recipiens területeket is felhasználhatunk erre a célra. Az elmúlt évtizedek során ennek a beavatkozásnak a sikeressége folyamatosan javuló tendenciát mutatott, mind a periapikális szövetek gyógyulásának, mind a gyökérfelszívódás bekövetkezésének tekintetében. Az elvégzett vizsgálatok szerint a zárt gyökércsúccsal rendelkező fogak esetében 84%-os, míg a nyitott gyökércsúccsal rendelkező fogak esetében 94%-os sikerarányról beszélhetünk.

Az sikeresség mértékét legnagyobb arányban az átültetésre kerülő fog gyökérfelszínén lévő parodontális rostok regenerációs képessége határozza meg. A gyökérfelszínt borító gyökérhártyát alkotó sejtek túlélőképessége 18 percet meghaladó szájüregen kívül töltött időt követően – jelentős mértékben csökken. Az autogén transzplantáció egy rendkívüli technika, és szenzitív beavatkozásnak számít. A beavatkozást végző orvos kézügyessége és gyakorlati tapasztalata jelentős szerepet játszik a kezelés sikerességének biztosításában.

Az átültetésre kerülő fogak az esetek többségében teljesen ép koronai résszel rendelkeznek. A beavatkozás elvégzése során ezen fogak jelentős részét gyökérkezelni kell. Ilyenkor azonban azt is szem előtt kell tartanunk, hogy a hozzáférési nyílás kialakításához szükséges foganyagelvétel, valamint a gyökérkezelés során végzett mechanikai gyökércsatorna-megmunkálás jelentős mértékben csökkentheti a fogak funkcionális megterheléssel szembeni ellenálló képességét. Ennek megfelelően az utóbbi időben egyre többen a konzervatív endodonciai elveknek megfelelően történő gyökérkezelést javasolják. Ennek célja, hogy a lehető legkevesebb saját foganyag feláldozása mellett, minimál invazív módon történjen a kezelés, és ezáltal a fog hosszú távú megtarthatóságát jelentős mértékben befolyásoló pericervicalis dentint a lehető legnagyobb mértékben megőrizzük.

Az elmúlt években számos olyan innováció jelent meg a fogorvostudomány területén, amely lehetővé tette a konzervatív endodonciai kezelések elvégzését. Ezek közül kiemelnénk az alakmemóriával rendelkező (controlled memory) ötvözetekből készült és a ciklikus terheléssel szemben megnövelt ellenálló képességgel rendelkező rugalmas gyökérkezelő tűket, a kezelési terület nagyobb nagyításban történő megfigyelhetőségét lehetővé tevő eszközöket, a bioaktív tulajdonságokkal rendelkező gyökértömő anyagokat, valamint az átöblítő szerek szonikus és ultrahangos aktiválását biztosító eszközöket. Az előbbiekben felsorolt technológiai újítások elengedhetetlenek voltak a konzervatív endodonciai szemlélet kialakulásához szükséges feltételek biztosításához. Ezek mind jelentős mértékben hozzájárulnak a lehető legtöbb saját foganyag megőrzéséhez, és ez különösen fontos a fogak hosszú távú megtarthatósága szempontjából kritikus fognyaki területen elhelyezkedő dentin prezelválása során.

Esetbemutatás

A 16 éves női pácienst a jobb felső első nagyőrlőfogának (1.6) megtarthatóságának megítélése céljából irányították a

58 e-Journal ENDODONTIA
1. ábra: Jelentős mértékben destruált koronával rendelkező felső első nagyőrlőfog. A képen látható fogban egy régi amalgámtömés, valamint szekunder caries látható. A fogban gyökértömés található.

2. ábra: A jobb felső nagyőrlő fogról készült periapikális felvétel. A jobb felső bölcsességfogat (1.8) a jobb felső első nagyőrlőfog (1.6) pozíciójába terveztük átültetni.

rendelőnkbe (1. ábra). A pácienst beküldő orvos azt kérte, hogy mindent tegyünk meg a fog megőrzésének érdekében.

A kérdéses fogat már korábban gyökérkezelték és gyökértömték. Jelenleg szimptomatikus periapikális periodontitist diagnosztizáltunk. Alapos klinikai vizsgálatot követően sajnálatos módon arra a megállapításra jutottunk, hogy a fog megtartása a továbbiakban nem lehetséges. A páciens, valamint a páciens szüleinek tájékoztatását, majd a beleegyezésük megszerzését követően a jobb felső bölcsességfog (1.8) eltávolítása és a jobb felső első nagyőrlőfog (1.6) pozíciójába történő átültetése mellett döntöttünk (2. ábra). A jobb felső bölcsességfog (1.8) eltávolításának szükségességét az orthodontusunk állapította meg.

A beavatkozás célja az volt, hogy a fogszabályzó kezelés befejezésének eredményeként a páciens stabil, két oldalon kiegyensúlyozott okklúzióval rendelkezzen. Az 1.6-os, és 1.8-as fogak eltávolítását a lehető legatraumatikusabb módon végeztük. Az 1.6-os fog pozíciójának megfelelően kialakult extractiós sebet alacsony fordulatszámon alkalmazott forgóeszközök segítésével némileg módosítottuk, és az alveolus fúrókkal történő korrekcióját követően az eltávolított bölcsességfogat még ugyanebben az ülésben a recipiensterületbe helyeztük (3. ábra). Az átültetett fog stabilizálása érdekében egy rugalmas sín segítségével, a szomszédos

3. ábra: A jobb felső bölcsességfog (1.8) a jobb felső első nagyőrlő pozíciójába került (1.6).

fogakkal összekötöttük. A sínezés során egy nejlonból készült elasztikus monofil anyagot alkalmaztunk (4. ábra). Az átültetést követően 15 nappal a sínt eltávolítottuk. A kontroll során a fog körül fiziológiás lágyszöveteket észleltünk, az átültetett fog stabilnak bizonyult, valamint a páciens is teljes panaszmentességről számolt be (5.a. és 5. bábra)

ábra: Az átültetett fogat egy adhezíven rögzülő rugalmas monofil sín segítségével stabilizáltuk.

Az eredeti kezelési terv szerint a fogátültetést követően 3 héttel kezdtük volna meg a transzplantált fog gyökérkezelését, de sajnálatos módon a páciens nem jelent meg a megbeszélt időpontján. Tsukiboshi szerint nem javasolt a gyökér-

5. a-b ábra: Az átültetést követően 15 nappal készült felvétel. Az átültetett fog körül a sín eltávolítása előtt (a) és a sín eltávolítása után (b) is fiziológiás állapotú parodontális szöveteket láttunk. – 6. ábra: Az átültetés után 8 hónappal készült radiológiai felvétel. Az eltávolított bölcsességfog pozíciójának (1.8) megfelelően csontos telődés jelei voltak láthatóak, de az átültetett fognak megfelelően fogbélelhalásra és periapikális elváltozás jelenlétére utaló jeleket észleltünk.

59 VI. ÉVFOLYAM – 2023. 5. SZÁM
4.
5a 5b 6

7. a-b. ábra: A gyökérkezelés megkezdése előtt (a) és a hozzáférési nyílás kialakítása után (b) készült szájüregi felvételek.

8. a-c. ábra: A gyökértöméssel ellátott palatinális (a), mesiobuccalis (b) és disztobuccalis (c) gyökércsatorna-bemenetekről készült felvételek.

kezelést az átültetést követő első 2 héten belül megkezdeni. Ennek az az oka, hogy ez idő alatt a gyökérhártya sérülékenyebbnek számít, és az endodonciai kezelések során nagyobb eséllyel okozhatjuk a parodontális rostok további károsodását. Viszont az első 2 hét elteltét követően pedig már kifejezetten javasolja a gyökérkezelés megkezdését, mivel ezzel jelentős mértékben csökkenthetjük a gyulladás miatt bekövetkező gyökérfelszívódás kialakulásának az esélyét. A páciens az átültetést követően 8 hónappal jelent meg a rendelőnkben. Ekkor fogbélelhalás jeleit és periapikális tályog jelenlétét diagnosztizáltuk nála. Az átültetett fog gyökércsúcsa körül radiolucens elváltozás volt látható, viszont a jobb felső bölcsességfognak megfelelően kialakult extractiós seb szövődménymentesen gyógyult (6. ábra). A jelen cikkben bemutatott esethez hasonló helyzetekben, amikor a gyökérkezelésre szoruló fog koronai része teljesen ép, javasolt a konzervatív endodonciai megközelítés alkalmazása. Az endodoncia területén megjelent technológiai fejlődésnek köszönhetően, nagyon jó, hosszú távú eredményeket lehet elérni. A hozzáférési nyílás kialakítása során magas fordulatszámon dolgozó forgó eszközöket és ultrahangos fejeket alkalmaztunk. A gyökércsatornák biomechanikai megmunkálása során rugalmas átöblítő kanülöket és alakmemóriával rendelkező ötvözetekből készült gyökérkezelő tűket alkalmaztunk (Aurum Blue, Meta Biomed).

Ezeknek az eszközöknek a megléte kifejezett jelentőséggel bír azokban az esetekben, amikor az adott fogak gyökérkezelését konzervatív elveknek megfelelően kialakított hozzáférési nyíláson keresztül akarjuk elvégezni (7. a és 7. b ábra). A stabilizált martenzites fázisban lévő (alakmemória, controlled memory) ötvözetekből készült gyökérkezelő tűknek sokkal nagyobb a ciklikus terhelés során kialakuló erőhatásokkal szembeni ellenálló képessége. A megmunkálást követően egy kálcium-szilikát alapú sealert vittünk be a gyökércsatornákba (CeraSeal és EQ-S, Meta Biomed), amely szonikus aktiválását követően a csatornákat guttapercha segítségével letömtük. (8. a-c ábra)

A gyökértömés elkészítésének fázisa technológiai szempontból jelentős kihívásokat hordozhat magában, ha azt egy minimál invazív módon kialakított hozzáférési nyíláson keresztül kell kivitelezni. A kálcium-szilikát alapú sealer alkalmazása elősegíti a gyökértömés elkészítésének folyamatát, a sealer szonikus aktiválása pedig lehetővé teszi a bevitt anyag csatornafalakon történő egyenletes eloszlatását (9. ábra). A definitív koronai zárást még a gyökértömés elkészítésével egy ülésben elkészítettük. A pulpakamrát egy dual kötésű csonkfelépítő anyaggal (NexCore, Meta Biomed) töltöttük fel, míg a tömés okkluzális felszínét hagyományos kompozit felhasználásával építettük ki (Ezfil, Meta Biomed), (10.. és 10. ábra). Ezt követően megkezdtük a páciens orthodonciai kezelését. A gyökérkezelt fog a kezelés során mindvégig tünet- és panaszmentesnek bizonyult. A három évvel később készült kontroll röntgenfelvételen a gyökércsúcs körüli szövetek épnek mutatkoztak (11. ábra)

Megbeszélés

9. ábra: A gyökértömés behelyezését és a koronai restaurátum elkészítését követően készített periapikális felvétel. A koronai rész helyreállítása során használt tömőanyag pulpakamrába történő helyezése rendszerint jelentős kihívásokkal jár, ha a gyökérkezelés során csupán egy kis átmérőjű hozzáférési nyílás került kialakításra.

A páciensek fogainak autogén transzplantációjával kapcsolatban az alábbi szövődmények kialakulására számíthatunk: a fogak extractió közben bekövetkező fracturája, gyökérfelszívódás, helyettesítő reszorpció (ritka), fokozott mobilitás, fogbélelhalás. A páciensek szájhigiénéje a műtétet követő időszakban rendszerint rosszabb lehet, valamint az esetek többségében szükség van az átültetett fog gyökérkezelésére. Az átültetés előnyei közé tartozik, hogy a transzplantált fog esetében is van lehetőségünk a későbbiekben orthodonciai fogmozgatások elvégzésére. Ezt a beavatkozást serdülőkorú páciensek kezelése során is alkalmazhatjuk, valamint – a környező csontállomány funkcionális megterhelésének biztosítása révén – lehetővé válik az állcsontgerinc eredeti dimenzióinak a megőrzése, és a pozíciójuk képes dinamikusan adaptálódni a fogazat fiziológiás

60 e-Journal ENDODONTIA
7a 7b 8a 8b 8c

Empowering Predictability

KIZÁRÓLAGOS MAGYARORSZÁGI FORGALMAZÓ alphaimplant.hu powered by TM Launch!
Immediacy
and Performance in

módon bekövetkező változásaihoz. Ez egy rendkívül előnyös tulajdonságnak számít az osszeointegrálódó implantátumok alkalmazásával szemben, mivel azok fix pozícióba kerülnek, és az idő előrehaladtával is ugyanazon pozícióban maradnak. Ez azt jelenti, hogy az állcsontok növekedése esetén az implantátumok pozíciója változatlan marad, és ezáltal a szomszédos fogakhoz képest infra-okklúzióba kerülhetnek. A transzplantáció egyik leggyakrabban hangoztatott előnyeként pedig azt szokták említeni, hogy így lehetőségünk van egy jelentős mértékben destruált fogat egy teljes értékű, tökéletes állapotban lévő fogra kicserélni.

Ha szükség van az átültetett fog gyökérkezelésére, akkor az endodonciai beavatkozásokat célszerű a kérdéses fog koronai és gyökéri anatómiájának megfelelően előre megtervezni. Ezekben az esetekben a lehető legtöbb saját foganyag megőrzését prioritásként kell kezelni. Ilyenkor mindig elsődleges célunk, hogy az átültetett fog rágó- és funkcionális megterheléssel szembeni ellenálló képességének a nagysága a lehető legkisebb mértékben csökkenjen. A konzervatív endodonciai ellátás során az egyik legnagyobb veszélyt az jelenti, hogy a szűk hozzáférési nyílásokon keresztül bevezetett gyökérkezelő tűknek jelentős hajlító feszültséget kell elviselniük (flexural stress). A tűket érő erőhatások nagysága a gyökércsatorna bemeneteknek megfelelően – az egyenes vonalú hozzáférés (straight-line access) hiánya miatt – a megszokotthoz képest nagyobb lesz. A ciklikus terhelés során jelentkező erőhatások nagysága a gyökércsatornákban jelenlévő görbületeknek megfelelően ugyancsak megnövekedhet. Ennek hatására a gyökércsatorna nagyobb mértékű transzportációjára számíthatunk, amely pedig az eredeti gyökércsatorna-lefutás megváltoztatását jelenti. Ha tudjuk, hogy a konzervatív hozzáférési nyílásokon keresztül történő gyökércsatorna-megmunkálás során nagyobb mértékű ciklikus terhelés éri a gyökérkezelő tűket, akkor egyértelműnek kell lenni, hogy ezekben az esetekben nagyobb ciklikus terheléssel szembeni ellenálló képességgel rendelkező gyökérkezelő tűket célszerű alkalmaznunk.

Az Aurum Blue gyökércsatorna-megmunkáló rendszer egy négy gyökérkezelő tűből álló sorozatból épül fel. A gyökérkezelő tűket stabilizált martenzites fázisú ötvözetből készítették (12. ábra). A tűk keresztmetszetét, konicitását, a tűk alapanyagául szolgáló nikkel-titán ötvözet összetételét, valamint a tűk elektropolírozott felszínét oly módon határozták meg, illetve alakították ki, amely lehetővé teszi, hogy végeredményként egy jól kiegyensúlyozott tulajdonságokkal rendelkező gyökérkezelő

eszközt kapjunk. A tűk ciklikus terheléssel és torziós erőkkel szembeni ellenálló képességének mértéke jól aránylik a tűk flexibilis tulajdonságaihoz. A 25/.05-ös méretnél (#25-ös csúcsi átmérő és 5%-os konicitás) kisebb gyökérkezelő tűk négyszög alakú keresztmetszettel rendelkeznek, míg az ennél nagyobb tűk keresztmetszete egy konvex háromszögre hasonlít. A tűk alkalmazása során az alábbi paraméterek használata javasolt: 500 fordulat/perc (500 RPM) és 2 Ncm nyomaték.

A CeraSeal kálcium-szilikát alapú sealer alkalmas az egypoénos gyökértömési technikák során történő felhasználáshoz (13. ábra). Ez a gyökértömési technika jelentős mértékben megkönnyíti a gyökércsatorna-rendszer hermetikus lezárásának kialakítását, amennyiben a gyökértömést egy konzervatív hozzáférési nyíláson keresztül kell elkészíteni. A CeraSeal-t a fizikai tulajdonságai alkalmassá teszik egy hosszú távon dimenzióstabil 3 dimenziós zárás létrehozására. A megfelelő zárás biztosításához nincs szükség hideg vagy meleg guttaperchával történő laterális vagy vertikális kondenzáció alkalmazására.

A kálcium-szilikát alapú sealerek számtalan jó tulajdonsággal rendelkeznek, amelynek köszönhetően lehetőségünk van az egypoénos technika alkalmazására. Ezek közül kiemelnénk a jó fizikai tulajdonságokat, a dimenzióstabilitást, a megfelelő záróképességet, az antibakteriális hatást, a biokompatibilitást és bioaktivitást, valamint a periapikális szövetek regenerációját elősegítő képességét. Talán az a legfontosabb, hogy ezek az anyagok képesek a nedves környezetben történő kötésre. Ez azért bír kiemelt jelentőséggel, mivel a dentin körülbelül 20%-os nedvességtartalommal rendelkezik, valamint a fogorvosi tevékenység nagy része nedves, vagy legalábbis nem teljesen száraz környezetben történik.

Következtetések

Amennyiben az autogén fogtranszplantációval elérhető potenciális biológiai és funkcionális előnyöket összehasonlítjuk az implantátumok behelyezésével járó előnyökkel, illetve figyelembe vesszük a minimál invazív módon kivitelezett endodonciai beavatkozásokban rejlő lehetőségeket, akkor arra a megállapításra juthatunk, hogy az új endodonciai technikák, eszközök és anyagok alkalmazásával az autogén fogtranszplantáció egy reális terápiás alternatíva lehet, főként a fiatal és jól együttműködő páciensek esetében!

Forrás: Roots 2021; 1 26-29

62 e-Journal ENDODONTIA
10. a-b. ábra: A koronai helyreállításról az izolálás eltávolítása előtt (a) és után (b) készült szájüregi felvételek.
10a 10b 11
11. ábra: A beavatkozások elvégzését követően 3 évvel készült kontrollröntgenen a periapikális terület regenerációja észlelhető.

Az izraeli Admetec lupék innovatív világa

Mindig egy lépéssel előrébb!

• Hagyományos Galilei és prizmatikus lupék

• 45°-ban szögtört prizmatikus ergo lupék

• Orchid vezetékes és Butterfly vezetékmentes

lámpák

• Flamingo vezetékmentes full HD kamera

lámpával integrálva, valamennyi Admetec

lupéhoz

Tel.: 06 30 942 7560 e-mail: dental@harmonycom.hu www.harmonycom.hu

ERŐS FOGAK ÉS EGÉSZSÉGES SZÁJ – MEGGYŐZŐ MOSOLY

A száj és a fogak nemcsak a táplálkozás és az emberi kommunikáció fontos részei, de esztétikai szempontból is jelentős szerepük van. Az egészséges fogak és fogíny egészségünk meghatározó elemei, a hibátlan, derűs mosoly pedig minden egyén kívánsága.

Nem csak a fogak fájnak

Az íny leggyakoribb gyulladásos megbetegedése a gingvitis vagy fogínygyulladás, mely legtöbbször a rossz szájhigiénia következményeként jön létre. A begyulladt és vérző fogíny a rossz lehelet mellett a betegség első jele. A gingvitist tehát gyógyítani kell, mert különben a gyulladás előrehaladott állapotában a gyulladt íny gócként szerepel, mely gócbetegségeket okozhat.

Az egészséges ember szájában folyamatosan jelen vannak mikroorganizmusok, amelyek szaporodása az íny gyulladásához vezet, és idővel a fogágy többi része is érintett lesz, paradontitis jelentkezhet. A tasakok mélyebbek lesznek, ezért a gyulladás ráterjed a mélyebb paradontális szövetekre is. A fogágygyulladás következtében a fogakat rögzítő szövetek elbomlanak, a betegség pedig átterjedhet az állkapocs csontszövetére is. Ennek együttes következménye, hogy a fog tartószerkezete meggyengül, elbomlik, így a fogak meglazulnak, majd kihullanak.

A hialuronsav a fogágy kötő- szövetének fontos kompo- nense

A hialuronsav a szervezet természetes anyaga és az egészséges fogíny fontos komponense.

Alkalmazása a fogászatban:

– csökkenti a szájnyálkahártya-irritációt

– megvéd a fertőzésektől

– felgyorsítja a sebgyógyulást és szövetregenerációt – csökkenti a fogínyvérzést, a foggyulladást és a duzzanatot

A kutatások kimutatják, hogy a hialuronsav fogászati alkalmazása jelentős mértékben hozzájárul az ínybetegségek megakadályozásában és gyógyításában.

Ínybetegségek megelőzése és gyógyítása hialuronsavval

A gyógyszertárakban és speciális üzletekben különböző formákban és kiszerelésben már 3 éve kapható a Gengigel, ami az egyedüli hialuronsav-alapú készítmény.

A termékcsalád használata egyszerű, gyermekek, terhes nők és cukorbetegek egyaránt használhatják. A hialuronsav tartalma miatt hatékony megoldás az alábbiakra:

– ínyvérzés

– gingivitis (fogínygyulladás)

– parodontitis (fogágybetegség)

– megsértett íny (sebészeti beavatkozás, foghúzás, fogpótlás után)

– korona, híd, fogprotézisek miatt irritált szájnyálkahártya

Ezen tulajdonságai alapján bátran állíthatjuk, hogy a Gengigel az egészséges fogíny receptje.

Forrás: Medis sajtóanyag

64 e-Journal ENDODONTIA
(X)

Hialuronsav

Az egészséges fogíny receptje

Az egészséges fogíny receptje

Az egész csalàd számára

gél/szájöblögető oldat/szájspray/baby gél

■ csillapítja a vérzést

■ elősegíti a sebgyógyulást a szájüregben

■ elősegíti a szövetregenerációt

■ csökkenti a duzzanatokat

■ védi a szájnyálkahártyát a fertőzésektől

misike a fogzás időszakában

Gengigel spray 4490 Ft Gengigel az első fogaktól 4490 Ft Gengigel szájvíz 5290 Ft Gengigel first aid 5200 Ft smile shopszájápolás mindenkinek DP Hungary Kft. 1012 Bp., Kuny Domokos u. 9. Tel.: +36 30/472-0030 www.dental.hu, info@dental.hu Emmi-Dent Platinum ultrahangos fogkefe 67 990 Ft Emmi Dent Whitening fogkrém 3090 Ft AKCIÓ! Gengigel prof mellé ajándék 1 db First Aid 34 990 Ft Gengigel gél 4490 Ft

Loupes and lights

BUILD YOUR DREAM LOUPE

1135 Budapest, Frangepán u. 66/B. +36 1 236 4000 | info@newyorkdental.hu www.newyorkdental.hu

opron,

Fogászati kereskedelem

• AMPRI: színes e.h. eszközök;

• Anger: matricák, ideiglenes koronák, fényvezető ék;

• ASA: műszerek, egyszer használatos eszközök;

• BISCO: cementek, bondok, kerámiajavító;

• FKG: endodonciai eszközök;

• DTS: színes műanyag lenyomatkanalak;

• NEOLIX: gépi gyökérkezelő tűk;

• OLIDENT: tömőanyagok, sav, bond;

• ORO CLEAN: fertőtlenítőszerek;

• PROMEDICA: cementek, tömőanyagok, alábélelők;

• SCORPION: scaler végződések, implant tisztításhoz is;

• SHOFU: cementek, tömőanyagok, csiszolók;

• SS White: koronafelvágó, karbid- és gyémántfúrók;

• TIDI: védőmaszkok;

• WHITEWASH: fogkrém, fogkefe;

• ZHERMACK: A- és C-szilikon, alginát lenyomatanyagok.

Közvetlenül az importőrtől:

HERBODENT Kft.

✉ 1025 Bp., Szépvölgyi út 52. % 325-7129

%/fax 325-7220, mobil: 30/203-6957, 30/241-5737 e-mail: herbodent@herbodent.hu, www.herbodent.hu

Faller Jenő u .:+36 99/508-698 ax: +36 99/508-696 .hu
Telefon: +36 70 670 6875 shop.bionika.hu BIONIKA AZ IMPLANTOLÓGIÁBAN
Bp., Rózsa utca 29. www.modent.hu, info@modent.hu
1077
Új olasz fejlesztés megbízhatóság, egyszeru ” kezelés, letisztult dizájn A-dec 500 a PRÉMIUM Dent-East Kft. 1112 Budapest, Rétkerülő út 51 www.dent-east.com • mail@dent-east.com 5 É V GARANCIA 47x69_v1.0.indd 1 2021. 03. 18. 16:25 Antiragacs kocka hogy ne ragadjon a műszere a kompozithoz! Dr. Volom Dental 1067 Budapest Podmaniczky u. 39. Tel.: +36 1 311 65 84 www.drvolomdental.hu Straumann GmbH Magyarországi Fióktelepe 1016 Budapest, Hegyalja út 7–13. COMMITED TO SIMPLY DOING MORE FOR DENTAL PROFESSIONALS TRY IT. LOVE IT. BUY IT. 1024 Budapest, Rómer Flóris u. 34. Tel.: 06-20/946-4350, e-mail: dentalmode@chello.hu. RAYSCAN www.alphaimplant.hu A MINO˝SÉG A SIKER GARANCIÁJA ai_hird_47x69.indd 4 5/7/15 9:24 AM sgshirdetes 2012februar 165x235 indd 1 sgshirdetes_2012februar_165x235.indd 1 1/27/12 12:29 PM SGS International Ltd. European Logistic Center 1047 Budapest, Károlyi István u. 1–3. Tel.: +36 1 328 0427 Fax: +36 1 348 0428 E-mail: info@sgs-dental.com www.sgs-dental.com LEZERSZINTER.HU • 3D lézerszínterezett vázak • Gyorsan tökéletes minőségben • Remanium star anyagból Tel.: 06-20-366-10-80 www.lezerszinter.hu
PRIMA AUTOKLÁV

Turn static files into dynamic content formats.

Create a flipbook
Issuu converts static files into: digital portfolios, online yearbooks, online catalogs, digital photo albums and more. Sign up and create your flipbook.