2024. VII. évfolyam
5. szám

2024. VII. évfolyam
5. szám
A FOGÁSZAT INFORMÁCIÓS
„Célom a biomimetikus fogászat szélesebb körű terjesztése és népszerűsítése…”
Károsodott fogak megtartásának lehetőségei
Innováció az endodonciában –Tippek és trükkök a SWEEPS technológia alkalmazásához
Autogén fogtranszplantációt követő konzervatív endodonciai terápia
alphaimplant.hu
2024-re a fogászati szektor – reményeink szerint – fel tudta dolgozni a Covid-19 okozta nehézségeket, az elszabaduló inflációt, és már tervezi az idei év fejlődési lehetőségeit. Mindannyian abban bízunk, hogy megérkeznek az európai uniós források, újra indulnak a pályázatok, és stabilan tudjuk vezetni a vállalkozásinkat!
A tavalyi év sokunk életében hozott különböző nehézségeket, mégis elmondhatjuk, hogy mindenképp jobb volt, mind a 2020-2022 közötti időszak, amikor a létbizonytalanság, a járványtól való félelem uralta a napjainkat. Az idegenforgalom tavaly szépen megindult, 2024-ben a vendégéjszakák száma várhatólag el éri a 2019-es év adatait. A nagy rendelők már teljes kapacitással üzemelnek, a fogtechnikai laborokban is visszatért a folyamatosság, a fogászati kereskedők jelentős része pedig jobb évet zárt 2023-ban, mint a korábbi években.
A fogászati rendelők és fogtechnikai laborok az elmúlt években főleg a fejlesztéseket állították előtérbe, amelyhez számos pályázat és egyéb forrás is kedvező konstrukciókat kínált. 2024-ban – tudomásunk szerint – is lesznek új pályázati források, melyekről a kereskedelmi vállalatok részletesebb információkat tudnak majd adni. Az új források bevezetése idén már bizonyosan ismét növekedési spirálba helyezi majd ezt a szektort!
Az infláció elérte a fogászati ágazatot is, a vállalkozások az euro változásától, gyengülésétől függően azzal találkoznak, hogy az árak – a mindennapi élet mellett – itt is jelentősen és folyamatos változnak, emelkednek. A fogászati rendelők is kénytelenek az áraikat emelni, egyre több rendelő, ún. „piaci alapú” árképzést vezet be. A folyamat kimenetelét még nem lehet pontosan látni, a munkaerő fluktuációja, az Európai Unió áraihoz képest alacsony magyar fogászati beavatkozások értéke - jelenleg még nem érte el a drágulás csúcspontját. Az elmúlt időszakban számos újság, cikk foglalkozott a fogászati szektorban található extra drágulási folyamattal. Ez egyelőre - a hazai rendelőkben - még nem mutatott jelentős problémát, új hívószavakkal, sok marketing munkával, reklámmal most a magyar lakosságot kell határozottabban a rendelőkbe invitálni!
A kiadó bizakodva tekint a jövőbe, a megújult tartalmaink kapcsán sok pozitív visszajelzést kapunk,
melyeket nagyon köszönünk! Az elmúlt években - a nehézségek ellenére is - növelni tudtuk a kiadványaink, a magazinjaink számát, nem csökkentve azok tartalmi minőségét. 2020 óta a tematikus e-Journalok is folyamatosan megjelennek, melyek egyfajta online könyvtárként is szolgálnak az olvasóinknak. A dental. hu oldalon díjmentesen elérhetőek a korábbi tematikus online lapszámaink is.
A mostani kiadványunkban az általános fogorvosi eljárások mellett az endodontia témakörével foglalkozunk.
Tartalmas olvasást kívánok!
Laczkó Tamás, felelős kiadó
E-Journal VII. évfolyam, 2024. 5. szám
Kiadja: DP Hungary Kft. 1012 Budapest, Kuny Domokos u. 9.
Felelős kiadó: Laczkó Tamás
Főszerkesztő: Dr. Riba Magdolna
Előkészítés: DP Hungary Kft., Sárközi András e-mail: grafika@dental.hu
Információ, hirdetésfelvétel: Bárdos Veronika, telefon: 06-30-472-0030, 06-1-793-1874
Az újság e-mail címe: info@dental.hu
Az újság internetcíme: www.dental.hu
Terjesztés: E-mail hírlevél formájában.
A tudományos közleményeket a szerkesztőség lektoroknak adja át véleményezésre. Közlés csak egyetértő lektori vélemény, illetve a javasolt módosítások elvégzését követően lehetséges.
A cikkek szerzői vállalják, hogy az általuk elküldött írás saját forrásból származik, illetve a felhasznált anyagokat (publikációkat, illusztrációkat, képeket stb.) mindenkor pontosan feltüntetik. Írásaiknak jogi és egyéb adatvédelmi kérdéseiben felelősséget vállalnak.
A német nyelvű szakmai cikkeink magyar fordítását az Oemus Media AG Kiadó engedélyével szerkesztettük lapunkba. A fel nem használt kéziratokat, fotókat nem őrizzük meg, és nem küldjük vissza.
A hirdetések tartalmáért nem vállalunk felelősséget. A gyártó, illetve forgalmazó cégek kérésére közzétett cikkeket keretbe foglalva közöljük és (x)-szel jelöljük, azok szakmai tartalmáért a szerkesztőbizottság nem vállal felelősséget.
„Fontosnak tartom, hogy a gyógyító embernek legyen szakmai és erkölcsietikai értékrendje…”
„Annyit szeretnék elérni, hogy lehetőségeimhez képest minden esetből kihozzam a maximumot…” PORTRÉ
ESETISMERTETÉS
fogászat iránt érdeklődő kollégák tájékoztatása a legújabb eredményekről…”
„A digitális tudomány legmagasabb szintjének Magyarországra történő irányításában sok lehetőséget látok…”
Vezérelt implantológia teljes házon belüli digitális folyamattal
ESETISMERTETÉS Komplex esetek multidiszciplináris megközelítéssel
történő ellátása
Dr. Riba Magdolna
Dr. Forster Andrással beszélgettünk életéről, szakmai
munkásságáról és terveiről
Dr. Forster András 2006-ban szerezte meg diplomáját a Szegedi Tudományegyetem Fogorvostudományi Karán. 2009–2013 között az egyetem Konzerváló- és Esztétikai Fogászati Tanszékén oktató.
A konzerváló fogászat és a fogpótlástan szakorvosa. 2013-tól magánfogorvosként dolgozik, 2016 óta az Urban Regeneration Institute helyreállító fogorvosaként. 2019-ben a „Biomimetic Restoration of Endodontically Treated Posterior Teeth” című disszertációjával PhD fokozatot szerzett. Érdeklődési területei a biomimetikus helyreállító fogászat, az implantációs protetika, a digitális fogászat és dokumentáció.
Fotó: dr. Mócz András
Először a kezdetekről kérdezem. Mikor, és esetleg kinek a motiválására döntött arról, hogy az orvosi, illetve a fogorvosi hivatást választja?
Gyermekkoromtól szívtam magamba az orvosi hivatást. Édesanyám aneszteziológus, humán genetikus, édesapám pedig kardiológus. Csodás szakemberek, és a példaképeim. A gyermekkorom meghatározó élményei között van „a klinikán” töltött idő. Mondhatnám, hogy hamarabb ismertem a bradycardia vagy tachycardia szavakat, mint ahogy elkezdtem természettudományokat tanulni. Sohasem fordult meg a fejemben, hogy más hivatást is választhatnék. Ellenben nem tetszett, hogy szüleimnek havi 9-10 ügyeletet kellett vállalniuk, és nélkülöznünk kellett a jelenlétüket. Így esett a fogorvoslásra a választás. Szerencsés döntés volt, mert mindig is nagyon érdekeltek a mérnöki tudományok, a művészet és a természettudományok. A magas szintű fogorvoslás pedig meglátásom szerint ezen három terület találkozásával jön létre.
A diploma megszerzése után miként alakult eddigi életútja? 16 évet összefoglalni nem lenne könnyű. Különösen, hogy mindig szenvedéllyel és szeretettel álltam ehhez a szakmához, és személyiségemből adódóan sokszor intuitív és talán hirtelen döntéseket hoztam. Ennek köszönhetően rengeteg helyre eljutottam, de nem a helyek voltak igazán fontosak, hanem a rengeteg jó szakember, akitől tanulhattam.
A konkrét események és helyek tételes felsorolása helyett azokat említeném meg, akik az eddigi utamat vezették és bearanyozták. Elsőként a páciensek, akik megtiszteltek a bizalmukkal. Továbbra is fő motivációm a magas szintű páciensellátás. Másodszor azok a hallgatók és kollégák, akik megtiszteltek a bizalmukkal, és taníthattam őket. Végül, de egyáltalán nem utolsósorban azok a mentorok, akik egyengették az utamat. Szerencsés vagyok, mert hiszem, hogy a magyar fogorvoslás legjobbjaitól tanulhattam: Gerlóczy Pál, Volom András, Urbán István a három zseni, aki a klinikai pályafutásomat meghatározza, illetve Nagy Katalin, aki anno az egyetemi karrieremet egyengette. Nélkülük meggyőződésem, hogy nem készülne el ma ez az interjú. Newtont idézve: „Ha valaha is messzebb láthattam, az azért lehetett, mert óriások vállán álltam.”
A fogorvoslás igen széles tudástárából mikor választotta ki speciális érdeklődésének a területeit? 2008 körül Grosz János – akivel a mai napig szoros szakmai és baráti kapcsolatot ápolok – mesélt egy könyvről… Pontosan emlékszem, amikor először a kezembe fogtam Pascal Magne korszakalkotó művét. Elvarázsolt az elvrendszer, amelyet biomimetikus fogászatnak hívott. Akkor olvastam először erről a kifejezésről, és azóta ez a diszciplína a szakmai tevékenységem fő fókusza. A mai napig igyekszem terjeszteni ezt a magas szintű és holisztikus megközelítést. Ez jelenik meg abban a hármas egységben, amelyet a szakmaiságom alapjának tekintek: a kutatásban, az oktatásban és a klinikumban.
Szakmai ismereteinek a folyamatos bővítése során melyek voltak a legfontosabb állomások?
Az első fontos állomás az SZTE FOK Fogpótlástani Tanszékén eltöltött rezidensi évek, ahol megtanultam a szakma alapjait az ottani remek tanároktól. Ebben az időszakban már árnyékként próbáltam követni Gerlóczy tanár urat, akinek a szakmai megközelítése a mai napig példaértékű számomra. Nagy Katalin dékán asszony olyan nagyvonalú volt, hogy lehetőséget biztosított a rezidensi éveim alatt, hogy Volom András mellett dolgozzam részmunkaidőben. Ebben az időszakban kezdtem Volom doktor úrtól tanulni a szálerősítés módjairól és arról, hogy a mérnöki megközelítés mennyire fontos a fogászatban.
A következő fontos állomás az volt, amikor Fráter Márk doktorral közösen elkezdtük kiépíteni annak a kutatási programnak az alapjait, amely ma Márk vezetésének köszönhetően – a szálerősítés terén – a világon az egyik legjobbnak számít. A mentorunk és segítőnk – aki nélkülözhetetlen volt abban, hogy a tudományos publikációk fortélyait elsajátítsuk – Braunitzer Gábor volt, akivel a mai napig együtt dolgozunk a kutatásainkban. Ennek a kutatási programnak a folyományaként előbb Fráter Márk szerzett PhD fokozatot, majd 2019-ben az én PhD fokozatom lett az eredménye.
Hallhatnánk részletesebben a disszertációjáról, illetve annak eredményeiről?
A PhD fokozat megszerzéséhez szükséges feltételeknek már 2013-ban elegendő publikációm volt, de nem vállalkoztam a disszertáció megírására, mert nem éreztem a témát magaménak, és nem is volt elég egységes tartalmilag. 2018-ig
vártam arra, hogy olyan mennyiségű és minőségű biomimetikus fogászattal foglalkozó publikációm legyen, amelyet méltónak éreztem a fokozat szerzésére. Mivel folyton tanul az ember, mai szemmel már nem tudok azonosulni a disszertáció egyes megállapításaival, de a benne foglalt kutatási eredmények – meggyőződésem szerint – értékesek. Különösen a gyökérkezelt fogak csap nélküli helyreállítása terén közölt eredményeinket tartom lényegesnek, hiszen egy gyökereiben új helyreállítási technikát publikáltunk a világon elsőként.
2009-től 2013-ig egyetemi oktatóként is tevékenykedett. Oktató munkája során mit tartott a legfontosabbnak? Az oktatás olyasmi, amit nem csupán nagyon fontosnak tartottam a kezdetektől, hanem amit nagyon élveztem is.
Meggyőződésem szerint az egyetemi
ahhoz, hogy sikeres szakemberek legyenek, a tananyag átadása mellett a legfontosabb, hogy megértsék, miként fogják alkalmazni
Ezért mindig gyakorlatorientált, tematikus módon építettem fel a tantermi előadásaimat, és a gyakorlati képzésben a pragmatikus, racionális, lehetőség szerint kompromisszummentes, páciensközpontú megközelítést favorizáltam. Mivel minden később felmerülő kérdésre és szituációra nem tudunk választ tanítani, ezért a kritikus gondolkodásra biztatás és a tudományos közlemények közötti eligazodás képessége szintén olyasmi, amelyet igyekeztem átadni. Azonban a legfontosabb érték, amit igyekeztem közölni: a szakma szeretete.
2011-ben a hallgatók megválasztották a Fogorvostudományi Kar legjobb előadójának. Ön szerint miért kapta/kaphatta meg ezt az elismerést?
Erről talán a hallgatókat kellene megkérdezni. A válasz engem is őszintén érdekelne. Ez az elismerés különösen sokat jelentett nekem, hiszen én is a mai napig hálával gondolok vissza azokra az oktatókra, akik engem tanítottak. A célom az volt, hogy átadjam a szakmánk szépségét, és „átragaszszam” azt a szenvedélyt, amivel művelem nap mint nap. A mai napig sok volt hallgatóm felkeres tanácsot kérni, vagy örömmel üdvözöl, ha meglát, és felemlegeti a tőlem tanultakat. Egy oktatónak nincs ennél nagyobb elismerés!
2013-ban azonban az oktatói, kutatói ambícióm ellenére elhagytam a Szegedi Egyetemet, és magánfogorvosként
kezdtem dolgozni. Sokáig kerestem azt a klinikai megközelítést, amely igazán kihozza belőlem a legjobbat. Idő közben Londonban és Limassolban, Cipruson is praktizáltam. 2016ban végül Urbán István klinikáján találtam meg a szakmai otthonom, és azóta is mellette dolgozom helyreállító fogorvosként.
Az oktatás mellett a kutatás is kiemelt fontosságú a szakmai életében. Milyen kutatási területtel/területekkel foglalkozott/foglalkozik jelenleg?
A kezdetekben fogászati anyagtan, orális biológia, esztétikai fogászat, implantológia és addiktológia fogászati vonatkozásában készítettem publikációkat. Ezek a témák nem folytatódtak, mivel a szakmai identitásom mélyen a fogmegtartás és a biomimetikus fogászat irányába húzott. Ez az a téma, amelyben úgy érzem, hogy ki fogok tudni teljesedni szakmailag, és ez az, amelynek a kutatását magánfogorvosként is folytatom. Jelenleg is egy nagyon érdekes publikációm készül egy nemzetközi kooperáció eredményeként, illetve a szegedi teammel is, két kutatás előkészítésén dolgozunk. Nem állunk meg. Szeretném a tevékenységemmel bizonyítani, hogy magánfogorvos is lehet tudományos szemléletű oktató és kutató, aki a szakma fejlődéséért dolgozik.
A klinikai munkám fókuszában mindig a fogmegtartás volt. Ennek megfelelően a kutatási és oktatási tevékenységemben is ezt az értékrendszert igyekszem fejleszteni, illetve átadni a kollégáknak, akik megtisztelnek a bizalmukkal.
Eddigi publikációs tevékenysége igen gazdag, s ahogy jelzi, most készül egy érdekes és jelentős tanulmánya is. Az új ismeretekre különösen fogékony szakemberek hol ismerhetik meg ezeket az értékes közleményeket?
A tudományos közlemények széles körű elérhetősége egy olyan téma, amely nagyon érzékenyen érint. Sok olyan közleményem van, amelyet legálisan csak úgy lehet letölteni, hogy az olvasó komoly összeget fizet érte. Vagyis korlátozott mértékben tud csak terjedni. Annak fényében, hogy a kutató ezekbe a publikációkba időt, energiát és sok esetben pénzt fektet, számomra nem elfogadható, hogy a publikációból származó profitot egy olyan szervezet aratja le, amely diktátumként mondatja le valamennyi szerzői jog gyakorlásáról a kutatókat, miközben ők – a tudományos előrelépés igénye miatt – nem tudnak más utat választani. Összegezve tehát: a kutató elveszíti a szerzői jogokat, a profit lehetőségét és a terjesztés lehetőségét. Ez elfogadhatatlan. Vannak az interneten olyan oldalak, amelyek a tudomány felszabadításáért küzdenek, és rajtuk keresztül a legtöbb publikáció ingyen elérhető. Saját hatáskörömben annyit tudok megtenni, hogy az elkövetkezendő hetekben induló weboldalamon, a www. biomimetichub.com-on elérhetővé teszem az összes közleményem az érdeklődők számára.
Korábban már említette, hogy 2016 óta dr. Urbán István mellett dolgozik mint konzerváló fogorvos és protetikus. Röviden összegezni tudná az itt szerzett tapasztalatait? 15 éve az a meggyőződésem, hogy a legfontosabb tényező a szakmai fejlődéshez egy jó mentor. Nekem megadatott, hogy több is legyen. Amikor hallottam róla, hogy Urbán doktor kollégát keres, a munkásságát ismerve rögtön éreztem, hogy ez lehet a következő lépcsőfok. István szakmaisága mind klinikai, mind tudományos, mind oktatási téren példaértékű számomra. 5 év óta úgy megyek dolgozni, hogy ma is elkápráztat az elképesztő klinikai képességével, elméleti tudásával és maximalizmusával. Mellette dolgozni, tőle tanulni számomra a szakmai csúcs. Hatalmas kihívás, ami újra fejlődésre sarkall mindennap. Nem tudom kifejezni, mennyire hálás vagyok!
Már említésre került, hogy ismereteinek permanens bővítése nagyon fontos Ön számára. A közelmúltban milyen módon és formában élt ilyen lehetőségekkel?
Az eddigi pályám alatt több komoly tanfolyamon is részt vettem, de kettőt kiemelnék. 2021-ben volt lehetőségem a klinikánkon szervezett 3x3 napos „Regenerator program” elvégzésére, amely implantációs protetikusként nagy hatással volt a klinikai szemléletemre, valamint a kezelésekhez való globális hozzáállásomra. A másik, egy egész évet felölelő kurzus, amelyet 2021 szeptemberében kezdtem el, a David Alleman nevével fémjelzett „Biomimetic Mastership”. Ez a képzés újabb inspirációt, lendületet adott biomimetikus küldetésemnek.
Különböző szakmai fórumokon jelenleg hol, illetve milyen szakterületen tart előadásokat, hands-on kurzusokat?
Jelenleg Grosz János doktor meghívásának eleget téve, az ő implantációs protetika szemináriumának teljes fogatlansággal foglalkozó részét tartom, amely igazán nagy megtiszteltetés és egy olyan terület, ahol hiszem, hogy – Urbán doktor és a fogtechnikus kollégáim fantasztikus munkájának köszönhetően – világszínvonalú információt tudok közölni. A biomimetikus fogászat területén az Endobolttal együttműködve tartunk egy gyakorlati képzést, immár második
éve. Már alig várom, hogy ismét megoszthassam a legújabb ismereteim a témában. Ahogy ez 2022 júniusában lezárul, és betöltöm a negyvenedik életévem, új fejezetet nyitok az oktatási tevékenységemben is. „Biomimetic Hub” néven egy olyan oktatási platformot indítok, amellyel a célom a biomimetikus fogászat szélesebb körű terjesztése és népszerűsítése. A saját képzéseimen kívül több neves külföldi előadó kurzusait lehet majd elérni a platformon keresztül. A kezdeményezésünket a nemzetközi szakma is értékeli, hiszen az „Alleman Center for Biomimetic Dentistry” közép-kelet-európai nagyköveteként terjeszthetjük a biomimetikus filózófiát.
Az idei Dental World Esztétikai Konferenciáján miről hallhatnak majd az érdeklődők?
Az eddig elmondottak fényében talán nem meglepetés, hogy biomimetikus fogászatról lesz szó. Azon belül is a fogak strukturális meggyengülésének diagnosztikájáról és kezeléséről. Azt fogom megvilágítani, hogy miként tudhatjuk egy fogról már a beavatkozás előtt, hogy strukturálisan meggyengült, és miként tehetünk azért, hogy egy tartós, funkcionális és esztétikus helyreállítást készítsünk ezekbe a fogakba is. Az elmúlt években sokat tanultam ezen a téren és bízom benne, hogy minden érdeklődő új információkkal fog gazdagodni.
Eddigi szakmai tevékenységét számtalan elismerésben, díjban részesítették. Tud, illetve lehet ezek között egyáltalán rangsorolni?
Lehetséges, hogy kaptam díjakat, de jelenleg egy sem jut eszembe. Nem is célom ez a fajta önigazolás. Nincs kirakva egyetlen díjam, diplomám, elismerésem sem a falra vagy a vitrinbe. Még a PhD oklevél sem, pedig arra nagyon büszke vagyok. Igyekszem egyszerűen élni, és tisztán gondolkozni. A díjak nézegetése nélkül is könnyen az ember fejébe száll a siker, és hirtelen már nem is áll két lábbal a földön. A remek kollégák és gyermekkori barátaim biztosítanak róla, hogy mindkét lábam a földön legyen, és mindennap a „kezdők szemléletével” álljak hozzá a munkámhoz.
Sokoldalú munkája mellett, ha jut idő, mivel tölti legszívesebben a szabadidejét?
Két 10 éves ikergyermekem, Hanna és Ákos látogatásai mellett a 2,5 éves kisfiam, Leon is boldogítja a mindennapjainkat. Így ők töltik ki a szabadidőm egy jelentős részét. A feleségem, dr. Papp Lili is fogorvos, ezért a gyerekek nálunk is gyakran szakszavakat hallgatnak ebéd közben. A történelem ismétli önmagát. Próbálok zsonglőrködni a család elvárásai, a klinikai munka és a tudományos, illetve oktató tevékenységgel. Szerintem viszonylag sikeresen. A mentális és fizikai egészségem megőrzésére számomra a sport a legjobb eszköz. Hosszútávfutással és országúti kerékpározással teszek ezért heti 3 alkalommal. Egy szakkönyv, vagy tudományos publikáció olvasása, vagy egy MMA mérkőzés megnézése is ki tud kapcsolni. A lényeg az egyensúly!
Ezt keresem, és néha meg is találom… Indulok is futni…
Köszönöm ezt a tartalmas beszélgetést és azt a sok szakmai információt, amelyet megosztott Olvasóinkkal.
Nemzetközi Fogászati Kiállítás és Kongresszus 2024. október 10–12., Hungexpo Vegye meg jegyét most: dentalworld.hu Late Bird kedvezmény 2024. augusztus 31-ig! 20%
Dr. Chad Foster
Dr. Ioannis Vergoullis
Dr. Stavros Pelekanos
Dr. Martin Baxmann
Dr. Federico Ferraris
Dr. Michael Melkers
Dr. Shanon Patel
Dr. Alfredo Iandolo
Derek
Dr. Mohammed Zafrany
Dr. Igor Ristic
Dr. Jarett Hulse
Dr. Robert E. Grover, dr. Kenneth S. Serota (Kanada)
Klinikai esetbemutatás
A fogászati technológiák és anyagok területén bekövetkezett hatalmas fejlődés mára a különböző terápiás lehetőségek rendkívül széles palettáját biztosítja a fogorvosok számára. Ugyanakkor, ha kizárólag csak az újdonságok alkalmazásával elérhető izgalmas lehetőségekre fókuszálunk, akkor a kezelések elvégzésének eredeti célja a háttérbe szorulhat. Ezen a ponton fontos kitérnünk a fogászati implantátumok alkalmazására. A szakma sokáig aranystandardként tekintett a károsodott fogak eltávolítására, majd implantátumokkal történő pótlására. Ugyanakkor szakirodalmi adatok igazolják, hogy az endodonciai ellátásban részesült fogak hosszú távú sikeressége 91–97% között mozog. Ezzel ellentétben a periimplantitis és perimucositis előfordulási gyakorisá-
ga Európában 43%, és Észak- és Dél-Amerikában 22% körül mozog. Számtalan tényezőt tudunk megnevezni, amely hozzá tud járulni a periimplantitis kialakulásához, azonban a folyamat kialakulását követően általában csak rövid távon tudunk kedvező eredményeket elérni. Az eddigi tapasztalatok szerint a periimplantáris gyulladás hosszú időn keresztül fennállhat, és gyakran újból ki tud alakulni. Guarnieri és mtsai. vizsgálatuk során megállapították, hogy a krónikus parodontitistől szenvedő pácienseknél alkalmazott megfelelő oki parodontális terápia és az azt követő fenntartó kezelés lehetővé teszi a parodontálisan érintett fogak nagy részének hosszú távú megtartását. Ugyanezen betegcsoportban a saját fogak elvesztéséhez képest sokkal gyakrabban fordul elő a beültetett implantátumok elvesztése. A cikkünkben bemutatásra kerülő eseteket, olyan megfonto-
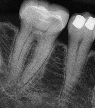
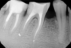
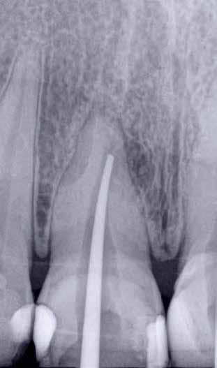
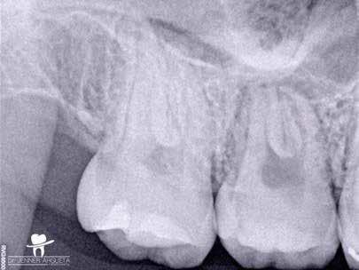
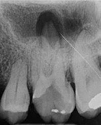
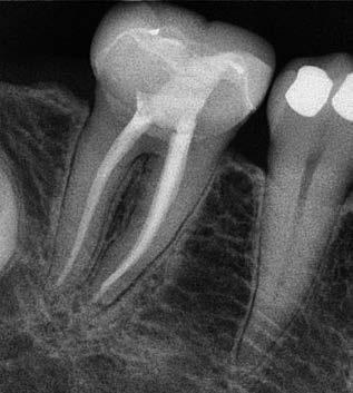
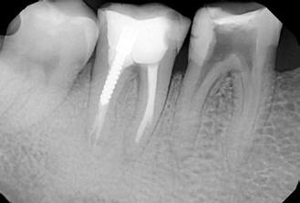
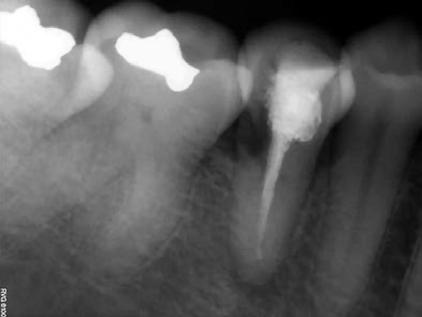
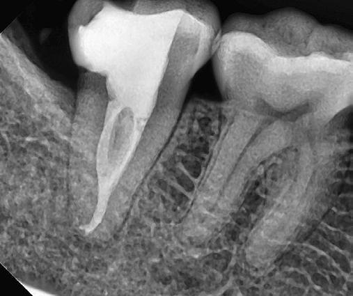
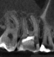
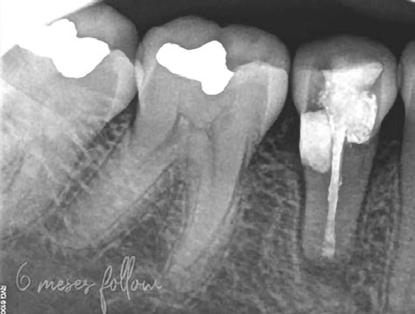
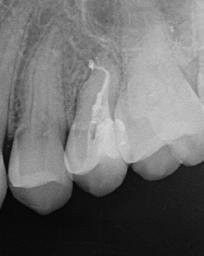
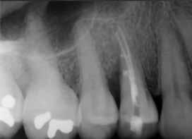
1. ábra: A 15-ös foggyökér meziális felszíne mellett látható radiolucens elváltozás, illetve a felvételen látható a korábban behelyezett gyökértömés, a parapulpális csap segítségével elhorgonyzott csonkfelépítés és a fogat borító cirkonkorona. –2. ábra: A saggitalis irányú CBCT-metszeten jól megfigyelhető az állcsontgerincet elérő radiolucens elváltozás. – 3. ábra: Az axiális irányú CBCT-metszeten egyértelműen látható a kezeletlen palatinális gyökércsatorna, valamint a radiolucens elváltozás mezio-disztális kiterjedése is jól megítélhető. – 4. ábra: A palatinális gyökércsatorna szelektív endodonciai kezelése során először gyógyszeres zárás került behelyezésre. – 5. ábra: A gyógyszeres zárás során alkalmazott kalcium-hidroxid alapú paszta a szulkuszon keresztül a szájüregbe extrudálódott. – 6. ábra: A gyökértömő anyag a középső és apikális gyökéri harmad határán lévő laterális csatornán keresztül a periapikális térbe extrudálódott. 7. ábra: A kezelések befejezését követően 4 évvel készült röntgenfelvételen jól látható a csontállomány gyógyulása és a fiziológiás gyökérhártyarés újbóli kialakulása. –8. ábra: A peroperatív CBCT-felvétel alapján készített koronális irányú metszeten jól látható a gyökércsúcs körül lévő periapikális felritkulás. – 9. ábra: A kezelések befejezése után 4 évvel készített CBCT-felvételen a gyulladásos lézió teljes megszűnése észlelhető.
10. ábra: A periapikális felvételen egyértelműen megmutatkozik a 46-os és 47-es fogak között kialakult csontos defektus, valamint a gyökereket fedő parodontális rostok károsodása. – 11. ábra: A disztális gyökér amputációját követően a csonthiány kiterjedése látszólag tovább növekedett. – 12. ábra: A 22 évvel később készített kontrollfelvételen jól megfigyelhető a csontos defektus telődése, valamint új kortikális csontállomány kialakulása.
landó – és klinikai körülmények között bizonyítottan működő – példaként akarjuk bemutatni, amelyek iránymutatásként szolgálhatnak a károsodott fogak endodonciai terápiával történő megtartásának lehetőségeivel kapcsolatban.
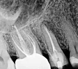
A CBCT-készülékek endodonciai alkalmazásának talán az az egyik legnagyobb előnye, hogy így olyan anatómiai struktúrák is láthatóvá válnak, amelyeket egyébként nem tudnánk detektálni panoráma, cephalo, vagy periapicalis felvételek segítségével. Mivel a CBCT-felvételek kiértékelése számítógép segítségével történik, így a felvételek vizsgálata során lehetőségünk van az adott területet több nézőpontból és több síkban is megvizsgálni. 2015 októberében egy korábban a rendelőnkben kezelt 55 éves férfi páciens azzal a céllal kereste fel ismét a rendelőnket, hogy másodvéleményt kérjen egy jobb felső kvadránsban található fogával kapcsolatban. Egy másik rendelőben történő vizsgálat során a panaszos fog törését vélelmezték és a fog eltávolítását javasolták, illetve arról is beszámolt, hogy az elmúlt hét során ezen a területen egy puha duzzanat is kialakult. A klinikai vizsgálat során a jobb felső első és második kisőrlő között (14–15) egy fluktuáló duzzanatot észleltünk az áthajlásban. Az 15-ös fog mesialis oldalán 12 mm mély tasakot szondáztunk. A páciens által hozott periapicalis felvételen a 15-ös fog gyökércsúcsának mesialis részén egy nagy kiterjedésű radiolucens elváltozás volt észlelhető (1. ábra). A saggitális síkban vizsgált CBCT-felvételen (Carestream CS 9000, Carestream Dental) a lézió valódi kiterjedése is láthatóvá vált (2. ábra). A megelőző endodonciai kezelések során csupán a bukkális csatorna került detektálásra és gyökértöméssel való ellátásra. Az axiális irányú CBCT-szeleteken egyértelműen látható volt az ellátatlan palatinális gyökércsatorna (3. ábra)
A buccalis csatornába üvegszálas csapot helyeztek, amely a csonkfelépítés elhorgonyzását biztosította. A pácienst arról is tájékoztattuk, hogy egy ferdén behelyezett fém parapulpális csap perforálta a fog koronáját és a csap vége eléri a parodonciumot. A páciens tájékoztatását követően az a döntés született, hogy célszerű lenne a palatinális gyökércsator-
na szelektív endodonciai kezelésének elvégzése. A páciens a javasolt kezelési tervet elfogadta.
Először kalcium-hidroxid alapú ideglenes gyógyszeres zárás került a palatinális csatornába (UltraCal XS, Ultradent Products; 4–5. ábra), amelyet 6 hét után a végleges gyökértömés elkészítése előtt eltávolítottunk. A gyökértömés elkészítése során meleg vertikális kondenzációs technikát alkalmaztunk. Radiológiai felvételen megfigyelhető volt, hogy a gyökértömő anyag egy laterális csatornán keresztül kis mennyiségben a periapicalis térbe extrudálódott (6. ábra). A 4 évvel később készített kontrollfelvételeken a lézió gyógyulása volt megfigyelhető (7–9. ábra). A vizsgálati eredmények és a kezelés kimenetele egyértelműen igazolta, hogy nem gyökérfraktúrával álltunk szemben, tehát a kezdeti diagnózis tévesnek bizonyult. Ez is azt erősíti, hogy korlátozott mennyiségben rendelkezésre álló adatok alapján nem lehet pontos diagnózist felállítani. Manapság szinte elengedhetetlen a CBCT-felvételek endodonciai beavatkozások során történő használata, feltéve, ha ezek elkészítése során az ALARA elv (as low as reasonably achievable) betartásra kerül.
Gyökéramputáció (endo-paro lézió)
Gyökéramputációt főként a furkáció érintett nagyőrlő fogak ellátása során szoktunk alkalmazni. Derks és mtsai. vizsgálatában a gyökéramputált nagyőrlő fogak közel 80%-a 20 évvel a beavatkozás elvégzését követően is megtartott volt. 1998 októberében egy 39 éves férfi páciens a jobb alsó kvadránsban jelentkező ínyérzékenység miatt kereste fel rendelőnket. A klinikai vizsgálat során jobb alsó első és második nagyőrlő fog között (46–47) nagy kiterjedésű csontveszteséget észleltünk. Ettől eltekintve a teljes fogazat parodontális státusza megfelelőnek bizonyult. A jobb alsó kvadránsban végzett szenzibilitás vizsgálat során arra az eredménye jutottunk, hogy a 46-os fog vélelmezhetően elhalt (10. ábra).
A pácienst tájékoztattuk, hogy az endo-paro léziókkal rendelkező fogak alapvetően rossz prognózissal rendelkeznek.
A kezelés hosszú távú sikeressége nagymértékben függ a csontveszteség mértékétől, a megmaradó gyökércsonk hosszától, a gyökerek közti távolságtól, a rezekálni kívánt
gyökér görbületétől, a csontos defektus megszüntetésének sikerességétől, a fogbél állapotától, és a szükséges restauratív és szájhigiénés beavatkozások elvégzésétől.
A páciens beleegyezését követően a 46-os fog disztális gyökere, a disztális gyökér felett lévő koronális rész megőrzése mellett rezekcióra került (11. ábra). A rezekciót követően a referáló orvos a 46. és 47. fogak koronáját Ribbond szalag és kompozit segítségével egymáshoz rögzítette. A sebészi beavatkozást követően 22 évvel készült kontrollfelvételen a lézió csontos telődése, kortikális csontállomány kialakulása, valamint a furkáció körüli csontos regeneráció volt megfigyelhető (12. ábra) A károsodott fogak megtartására szolgáló lehetőségek fejlődésének, valamint az implantátumok behelyezésével kapcsolatos rizikófaktorok jobb megértésének köszönhetően ma már más szemmel vizsgáljuk a fogak eltávolításának szükségességét. A kérdéses prognózissal vagy a kis protetikai értékkel rendelkező fogak eltávolítása előtt mindig érdemes felmérni az ezzel elérhető lehetséges előnyök nagyságát. A kemény- és lágyszöveti pótlás lehetőségeinek fejlődésével, a PRF elérhetőségével, a minimálinvazív sebészeti módszerek és az operációs mikroszkópok elterjedésével, valamint a varróanyagok és varrat technikák egyre kifinomultabbá válásával ma már alaposan el kell gondolkodnunk az előtt, hogy egy fogat egy implantátum behelyezése érdekében eltávolítsunk. Mára sokkal kedvezőbb prognózist és sokkal nagyobb sikerességet tudunk elérni a korábban menthetetlennek gondolt fogak kezelése során.
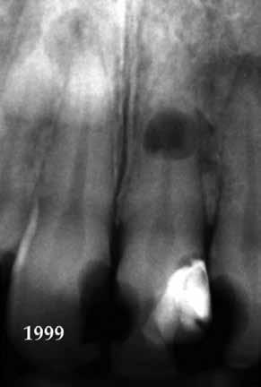
A belső rezorpció miatt kialakult defektusokat, valamint a perforáció következtében kialakult sérüléseket radiológi-
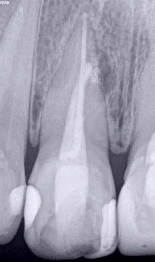
ai felvételek segítségével viszonylag jól el lehet különíteni a külső rezopció okozta ártalmaktól. A belső rezorpciótól szenvedő fogak esetében a radiológiai felvételek excentrikus irányból történő elkészítése során a rezorptív lézió a fog gyökércsatornájával egy irányba mozdul el a felvételen, míg külső rezorpció esetében le fog vetülni a gyökércsatornáról. 1999 márciusában egy 47 éves hölgy páciens arcduzzanattal kereste fel a rendelőnket. Klinikai vizsgálat során a jobb felső nagymetszőfog (11) kopogtatásra való érzékenységét tapasztaltuk. A felső front régióról készült periapikális felvételeken a frontfogakban lévő nagy kiterjedésű III. és IV. osztályú restaurátumokat észleltünk. Az 11-es fog gyökércsúcsa körül periapikális felritkulás volt látható. A 21-es fognál a gyökér középső harmadában belső rezorpciót észleltünk (13. ábra). A páciens kérdésünkre elmondta, hogy a bal felső nagymetszője közel 35 évvel ezelőtt traumás sérülést szenvedett. Mivel abban az időben CBCT-felvételek készítése nem volt számunkra elérhető, így a klinikai adatok alapján azt feltételeztük, hogy a rezorptív lézió bukkális irányba perforálta a gyökércsatorna falát, majd ezt követően az ezt a területet fedő bukkális csontállományt is destruálta.
A frontrégióban végzett szenzibilitás vizsgálat is megerősítette a 11 fogban a fogbélelhalás diagnózisát. Az 11-es fog endodonciai kezelése során a gyökércsatorna biokemo-mechanikai megmunkálását követően a gyökércsatornát meleg vertikális kondenzációs technikával zártuk. A bal felső nagymetsző esetében a gyökércsatorna megmunkálását a rezorpciós üreg koronális határáig végeztük, majd a megmunkált csatornaszakaszt fehér MTA-val töltöttük fel (14. ábra). Amennyiben ennek a fognak a kezelését ma kellene elvégezni, akkor az EndoSequence BC puttyt (Brasseler) használnánk a gyökértömés elkészítésére. Ezenkívül azt is megemlítenénk, hogy manapság egyre gyakrabban próbál-
13. ábra: A periapikális felvételen jól lekövethető a 11-es fog gyökércsúcsa körül látható radiolucens terület körvonala. A 21-es fog gyökerének középső harmadában pedig belső rezorpció jelenlétére utaló jelek észlelhetőek. A rezorptív lézió frontális és laterális irányban is áttörte a csontos falakat, amely következtében a gyökeret körülvevő csontállomány is károsodott. – 14. ábra: A posztoperatív felvételen jól megfigyelhető a 11-es fogba helyezett gyökértömés. A 21-es fog ellátása során a gyökércsatorna megmunkálását csak a rezorptív defektus koronális határáig végeztük. A gyökércsatorna zárására fehér MTA-t alkalmaztunk. – 15. ábra: A 11-es fog gyökércsúcsa körül látható felritkulás teljesen eltűnt. A rezorptív defektus mérete csökkent, valamint a rezorpciós üreg csontosodására utaló jelek is megfigyelhetőek. – 16. ábra: A saggitalis irányú CBCT-metszeten jól látható, hogy a 21-es fogat ép és jól megtartott bukkális kortikális csont fedi. A rezorpciós üreg mérete jelentősen csökkent, valamint az üreg kalcifikálódott anyaggal való telődése is megfigyelhető volt.
Több mint 30 éves szakmai tapasztalat
Minden ami 3D nyomtatás
Az általunk vagy az Ön által tervezett vázakat, lemezeket 3D nyomtatással készítjük el !
CoCr és Ti 3D nyomtatása
Teljeskörű support Precíziós utómunkálat
Minden ami virtuális tervezés
Küldje el a lenyomtatot akár intraoral scan formájában és mi megtervezzük illetve legyártjuk a kívánt fogpótlást !
cirkónium-dioxid, PEEK, lítium-diszilikát, PMMA, kompozit
Minőség, pontosság, szakértelem. A fogtechnikai újdonságok úttörői !
www.dentarttechnik.hu labor@dentarttechnik.hu +36 30 682 3827 labor@dentarttechnik hu
dentarttechnik
...és ami mögötte van biztos megoldás a fogászati szakma elérésére
koznak a rezorptív léziók injektálható PRF-fel történő kezelésével. Az eddigi eredmények alapján ezzel az eljárással rendkívül kedvező hosszú távú eredményeket lehet elérni. A 21 évvel később készített kontrollfelvételeken látható, hogy az 11-es fog gyökércsúcsánál látható periapikális lézió teljesen eltűnt, valamint a rezorptív lézió mérete is jelentősen csökkent (15–16. ábra)
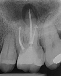
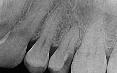
Krell és Caplan kutatásában 2086 repedt fogat vizsgáltak meg. A vizsgált fogak között leggyakrabban a második alsó nagyőrlőfogak (36%), majd ezt követően az első alsó nagyőrlők (27%), és végül az első felső nagyőrlők (18%) fordultak elő. A kutatási eredményeik szerint a fogbél állapota nem befolyásolta jelentős mértékben a kezelés várható kimenetelét. (Irreverzibilis pulpitis 85%; necrosis 80%; korábban gyökérkezelt 74%). A kimenetel szempontjából ugyanígy indifferens volt a páciensek neme, életkora, a kezelés időpontja, a fog pozíciója, a fog helyreállítása során használt anyag típusa, valamint az érintett fogfelszínek száma. 2014 júliusában egy 45 éves hölgy páciens azzal a panasszal kereste fel a rendelőnket, hogy nagyjából 10 napja egy fájdalmas duzzanat alakult ki a jobb felső első kisőrlője koronája mellett (14). A klinikai vizsgálat során egy amalgámtömést találtunk a panaszos fogban. A tömés széli zárása nem volt megfelelő, a disztális záróléc és a tömés között rést tapasztaltunk. A fog disztobukkális és linguális felszíne mellett 8 mm-es csontos tasakokat mértünk. A periapikális felvételen az 14-es foggyökér disztális felszínének megfelelően vertikális irányú radiolucens felritkulást észleltünk. A klinikai vizsgálat során a mesiális zárólécet kettéválasztó törésvonalat detektáltunk (17–18. ábra). A fogszenzibilitás vizsgálata során negatív eredményt kaptunk. A páciensnek ismertettük az elérhető terápiás lehetőségeket: 1, a 14-es fog eltávolítása, majd a foghiány 3 tagú cementezett híddal történő pótlása; 2, a 14-es fog eltávolítása, kemény- és lágyszöveti augmentáció, majd implantátum behelyezése; 3, a 14-es fog gyökérkezelése, gyökértömése és ezt követően a csücsökborítást biztosító restaurátum készítése. Arra is felhívtuk a páciens figyelmét, hogy a 3. terápiás lehetőség választása esetén nem tudjuk a fogmegtartás sikerességét garantálni, de végül – főként anyagi okok miatt – mégis ezt a terápiás opciót választotta. Fontos megjegyezni, hogy a repedt fogak ellátási lehetőségeit a törésvonal mélysége, elhelyezkedése, lefutása nagyban befolyásolja. A kezelés megtervezése során a fog és a fogat körülvevő szövetek állapotával kapcsolatos számtalan különböző faktort kell egyidejűleg figyelembe vennünk. A gyökérkezelést követően a gyökértömést meleg vertikális kondenzációs technikai alkalmazásával készítettük el (19. ábra). A hozzáférési nyílást folyékony és hibrid kompozit tömőanyag segítségével zártuk. A zárás elkészítése során a dr. David Clark által kifejlesztett Bioclear matricarendszert alkalmaztuk. A 6 éves kontroll során készített (2020) röntgenfelvételen a csontos defektus telődése volt megfigyelhető. Ez is a parodontális defektus gyógyulását igazolta (20–21. ábra).
17. ábra: A 14-es fog gyökerének disztális felszíne mellett vertikális csontpusztulásra utaló jelek észlelhetőek. Klinikailag ezen a területen 8 mm mélységű tasakmélységet mértünk. – 18. ábra: A 14-es fog disztális zárólécének megfelelően törésvonal észlelhető, ugyanakkor a csücskök teljes szeparálódására utaló jelek nem láthatóak. Az amalgámtömés eltávolítását követően jól megfigyelhető volt a törésvonal teljes lefutása. – 19. ábra: A gyökértömés elkészítése során meleg vertikális kondenzációs technikát alkalmaztunk. A felvételeken oldalcsatornák jelenlétére utaló jelek is észlelhetőek. – 20–21. ábra: A 2020-ban készült kontrollfelvételeken jól látható a csontos defektus telődése. A radiológiai jelek alapján (jól lekövethető gyökérhártyarés) a parodontális ligamentumok regenerációját is vélelmezzük.
A kezelés megtervezése során a fog és a fogat körülvevő szövetek állapotával kapcsolatos számtalan különböző faktort kell egyidejűleg figyelembe vennünk. Az Amerikai Endodonciai Társaság (American Association of Endodontists) vonatkozó ajánlása azt javasolja, hogy ezekben a helyzetekben mindig vegyük figyelembe az esetspecifikus lokális és szisztémás tényezőket. Ez magába foglalja a páciensek igényeit és kívánságait, az anyagi lehetőségeit, az esztétikai tényezőket, a lehetségesen előforduló szövődményeket, valamint az ilyenkor felmerülő etikai kérdéseket. Az általunk elvégzett kezeléseknek mindig lehető legnagyobb mértékben kell a páciensek érdekeit szolgálni. (www.aae.org/treatmentoptions)
Forrás: Roots; 2022, 2 32-35
A gyökércsatorna-rendszer átöblítés hatékonyabbá tételére kidolgozott új eszközök és jobb eredményeket biztosíthatunk a pácienseink számára. Az átöblítőszerek kel, de a GentleWave technológiát (Sonendo) is erre a célra fejlesztették ki. fogak belső anatómiai felépítése jelenti. A komplex belső anatómia jelentős mértékben tőtlenítését. Az újrakezelést igénylő esetek ebből
eszközök és technikák alkalmazásával folyamatosan fejleszthetjük praxisunkat átöblítőszerek aktiválását végezhetjük szonikus, vagy ultrahangos eszközökkel, lézerekAz innovációk megjelenése ellenére a legnagyobb nehézséget továbbra is a mértékben megnehezíti a csíraszám csökkentését, azaz a fog belsejének fera szempontból még nagyobb kihívást jelentenek.
Dr. Bartłomiej Karaś, dr. Grzegorz Witkowski (Lengyelország)
A nagyőrlőfogak kezelése mindig is kihívást jelentett a fogorvosok számára. Az anatómiai variációk nagy száma sok nehezen megoldható helyzetet eredményezhet az endodonciai kezelések során. Tudományos közleményekben is leírták, hogy ezekben a fogakban nagy eséllyel alakul ki a gyökércsatornák oszlása, valamint gyakran találkozhatunk laterális csatornákkal és apikális ramifikációkkal (delta apicalis). Annak ellenére, hogy Herbert Schilder 1970-ben fektette le a gyökércsatorna-megmunkálás alapelveit és ennek célja gyakorlatilag azóta változatlan maradt, mára több tanulmány is igazolja, hogy a hagyományos mechanikus csatornafal-megmunkálási technikák és a pozitív nyomással történő átöblítés nem képes a nekrotikus szövetek és a csatornafal-megmunkálás során keletkezett törmelék teljes körű eltávolítására.
Azóta több eszközt és technikát is kifejlesztettek, amelynek az volt a célja, hogy elősegítse a gyökércsatorna-rendszerben lévő keményszöveti törmelék eltávolítását, illetve hatékonyabbá tegye a mechanikai eszközökkel el nem érhető csatornafal-szakaszok, illetve szűkületek megtisztítását. Ezeknek az ára a relatív olcsótól (az átöblítőfolyadék manuális dinamikus aktivációja guttapercha poénok vagy alacsony frekvenciájú szonikus eszközök [EndoActivator; Dentsply Sirona] segítségével a költségesebbeken keresztül (negatív nyomással működő átöblítő rendszerek [EndoVac; Kerr Dental] vagy magas frekvenciájú szonikus eszközök [EDDY; VDW]) egészen a rendkívül drágákig terjed (Er,Cr:YSGG és Er:YAG lézerek).
Ennek a cikknek az a célja, hogy esetbemutatásokon keresztül ismertesse a nátrium-hipoklorit oldat (NaOCL) leghatékonyabb módszerrel történő aktiválásának lehetőségeit. Az Er,Cr:YSGG (2,780nm) és Er:YAG (2,940 nm) lézerek alkal-
mazásával történő aktiválás hozzájárult a kezelés várható sikerességének növekedéséhez. Az átöblítőszer aktiválása elősegítette a mechanikai eszközökkel nem megközelíthető csatornaszakaszokban lévő fertőzött szövetek eltávolítását. A lézerek alkalmazásának köszönhetően lehetővé vált a kétszeres görbülettel rendelkező gyökércsatornákat elzáró kalcifikálódott pulpaszövet eltávolítása, így a gyökércsatornák átjárhatóvá és ezáltal kezelhetővé váltak. A gyökércsatornák pericervicalis dentin megőrzése mellett történő feltágíthatósága mellett fontos szempont, hogy az átöblítési protokollt (kémiai megmunkálás) is kompromisszummentesen végre lehetett hajtani.
A 28 éves hölgy pácienst az eddig fel nem lelt második mesio-bukkális (MB2) gyökércsatorna lokalizálása és a kérdéses fog endodonciai ellátása miatt utalták dr. Karaś rendelőjébe. A fog panaszos volt (jobb felső első nagyőrlő; 16) és kezelést igényelt. A mesialis gyökércsatorna vizsgálata, valamint a kezelés megtervezése céljából CBCT-felvétel készült. A gyökér alakja és a gyökérhártyarés kiszélesedése alapján különálló gyökércsatorna bemeneti nyílást és önálló foramen apicale-t vélelmeztünk az MB2 csatorna számára. Egy axiális irányú szeleten a mesio bukkális gyökér palatinális részén egy keskeny önálló csatornaszakaszt észleltünk, amely tovább erősítette az önálló MB2 csatorna fennállásának valószínűségét. Gyulladásra utaló jeleket észleltünk a mesio-, és diszto-bukkális gyökerek gyökércsúcsánál, valamint az azonos oldali arcüregben (1. a–c ábra).
Helyi érzéstelenítést követően kofferdám került felhelyezésre, majd az izolálást folyékony kofferdám felvitelével (RUBBER-DAM liquid, CERKAMED) erősítettük meg (2. ábra). Ezt követően az ideiglenes tömést eltávolítottuk és a pulpakamrát desztillált víz, valamint ultrahangos hegyek segítségével aktivált 5,25%-os NaOCl oldattal megtisztítottuk (3. ábra). Az első mesio-bukkális (MB1), a diszto bukkális (DB) és a palatinális (P) gyökércsatorna átjárható volt, ezért először egy C-PILOT tű (VDW) és egy elektromos apexlokátor (E-PEX, Eighteeth) segítségével ezekben a csatornákban a munkahossz meghatározásra került. Ezután a gyökércsatornákat nagyjából az eredeti munkahossz kétharmadáig
reciprok mozgást végző gépi gyökérkezelő tűkkel feltágítottam (#25/.07 Perfect Shape; Shenzhen Perfect Medical Instruments). Ezt követően az MB2 gyökércsatorna bemeneti nyílását fedő dentint egy gyémánt borítású ultrahangos fej segítségével eltávolítottam (ED3D, Woodpecker). A terület vizsgálatát követően észleltem, hogy az MB1 és MB2 csatornákat egy vékony résszerű nyílás (isthmus) köti össze. Az MB2 csatornának csak a koronális harmadát volt lehetséges kézi eszközök segítségével megmunkálni (4. ábra). Az MB csatornák között lévő rést 2 mm mélységben az előzőleg használt gyémánt borítású ultrahangos fejjel eltávolítottam (5. ábra)
Az átöblítés során a roots magazin egy korábbi számában (2/2022) bemutatott protokollt alkalmaztam (Less-Prep Endo enhanced irrigation protocol). Az átöblítőszer aktiválása SkyPulse lézer (Fotona) segítségével AutoSWEEPS (shock wave enhanced emission photo-acoustic streaming) módban történt. Ennek köszönhetően az MB2 csatorna középső harmada is átjárhatóvá vált a C-PILOT tűk számára. Ezt radio-
lógiai felvételek segítségével is igazoltuk (6–7. ábra). Az MB1 és MB2 csatornák között az átöblítőszerek szabad áramlását észleltük. A gyökércsatornákat crown-down technika szerint a C-PILOT és Perfect Shape gépi gyökérkezelő tűkkel megmunkáltuk, de időhiány miatt a megmunkálás teljes munkahossznál rövidebb mélységben történt. Az ülés végén a fogat kompozitból készült ideiglenes tömés segítségével zártuk és a pácienst egy másik időpontra visszarendeltük.
A következő kezelés elején helyi érzéstelenítést követően kofferdámot helyeztünk fel és az ideiglenes tömést eltávolítottuk. A pulpakamrát desztillált víz, és ED3D ultrahangos hegy segítségével aktivált 5,25%-os NaOCl oldattal megtisztítottuk. A következő cél az MB csatornák közti nyílás ED3D fejjel történő további kitágítása volt. Ezt követően észleltük, hogy az MB2 csatorna bemeneti nyílásának megfelelően strip perforáció alakult ki (8. ábra). Ekkor úgy döntöttem, hogy nem távolítok el további foganyagot, hanem újra elvégzem a Less-Prep Endo átöblítési protokollt. Ennek a hatékony átöblítési protokollnak az elvégzését követően még
potensebb folyadékáramlást lehetett észlelni az MB1 és MB2 csatornák között. Az MB1 és DB csatornákat 25/.07 Perfect Shape gépi tűvel, a P csatornát pedig 45/.04 Endostar E3 Azure gépi tűvel (Poldent) teljes munkahosszon feltágítottam. Végül az összes csatornát átöblítettem 5,25%-os NaOCl és 17%-os EDTA oldattal.
Az MB2 csatornát befecskendezéses technika alkalmazásával egy műgyanta alapú sealerrel töltöttem fel, míg a többi csatornát (MB, DB, P) ugyanezen sealerrel, de meleg guttapercha felhasználásával (continuous wave) töltöttem fel (9. ábra) . A perforációt ezt követően MTA-val (mineral trioxide aggregate) zártam (10. ábra) és kompozittal fedtem (11. ábra) . Több, excentrikus irányból készült periapikális röntgenfelvétel is készült. Ezeken egy további a mesialis gyökér apikális részén végigfutó sealer csíkot és a mesialis gyökér csúcsánál látható sealer puffot sikerült megfigyelni (12–13. ábra)
A mesialis gyökér megfelelő endodonciai ellátásának ellen őrzése céljából a pácienst egy kontroll CBCT-felvételre irányítottuk. A felvételen látható volt, hogy az MB2 csatornát teljes terjedelmében ki tudtuk tölteni a sealerrel, továbbá, hogy az apikális harmadban az MB1 és MB2 csatornák között egy keskeny összeköttetés található, valamint hogy az MB1 és MB2 gyökércsatorna különálló végződéssel rendelkezik (14. ábra) . A fogat kompozitfelépítéssel láttuk el, majd visszairányítottuk a beküldő orvosához. Csücsökborítást biztosító indirekt restaurátum készítését javasoltuk, illetve 6 hónap múlva kontrollvizsgálat céljából visszarendeltük magunkhoz. A 6 hónapos kontroll során készített CBCT-felvételen a gyökércsúcsok körül nem voltak gyulladásra utaló jelek. A fog teljesen panaszmentes volt és a Schneider membrán megvastagodását sem észleltük (15. a–b ábra.).
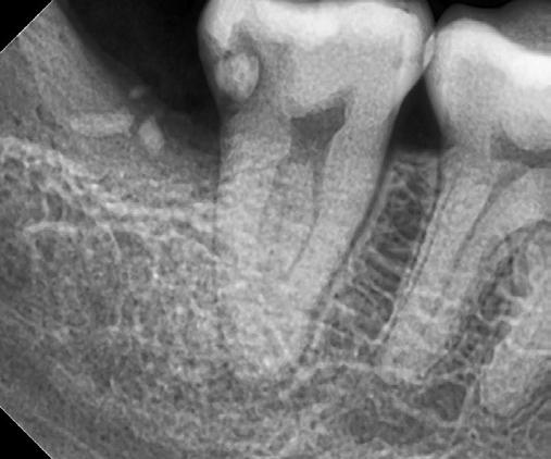
Egy 40 éves hölgy pácienst a jobb alsó második nagyőrlőfogának (47) panaszossága és kopogtatáskor jelentkező érzékenysége miatt irányították dr. Karaś rendelőjébe. A hagyományos technikával készített röntgenfelvételeken a beküldő orvos nem észlelt gyökércsatornák jelenlétére utaló jeleket, ezért úgy gondolta, hogy a fog endodonciai ellátása túlmutat saját kompetenciakörén.
Az első vizsgálat során CBCT-felvétel készült. A felvételen egy kis méretű radiolucens elváltozást észleltünk a mesialis gyökércsúcs körül. Ez alapján azt vélelmeztük, hogy elérhető lehet a mesialis gyökércsatornák átjárhatóságának biztosítása. A disztális gyökér körül nem láttunk gyulladásra utaló jeleket, így a panaszok hátterében valószínűleg a mesialis gyökér végén látható gyulladásos elváltozás állt. További leletként a mesio-bukkális gyökércsatornában (MB) egy törött lentulót is észleltünk (16. a–b ábra).
Az első kezelés célja a törött eszköz eltávolítása és a gyökércsatornák átjárhatóságának biztosítása volt. Helyi érzéstelenítés és a kofferdám felhelyezését követően a meglévő tömés eltávolításra került. Ezt követően láthatóvá vált, hogy mindhárom gyökércsatorna-bemeneti nyílást Endomethasone N fedi. Ezt az anyagot ultrahangos fej (U-file) és 5,25%os NaOCl alkalmazása révén távolítottuk el. Ezután a lentuló is láthatóvá vált. Sajnálatos módon a lentuló nem cementbe volt ágyazva, hanem a gyökércsatorna görbülete mögött egy fel nem tágított gyökércsatornafal-szakaszba ékelődött be. A tört részt kalcifikálódott szövetek borították. Ez alapján azt vélelmezzük, hogy az első kezelés során ezt a gyökércsatorna-szakaszt még élő fogbél töltötte ki. Ekkor azt a döntést hoztuk, hogy a kalcifikálódott szöveteket 10-15 percen keresztül végzett lézerrel aktivált folyamatos 5,25% NaOCl átöblítéssel megpróbáljuk eltávolítani. A terv sikeres volt, a
betört eszköz és a kalcifikálódott szövetek is eltávolításra kerültek. A betört műszer egészben történő eltávolításáról kontrollröntgen segítségével győződtünk meg (17. ábra)
A páciens öklendezése miatt a beavatkozások nehezen voltak elvégezhetőek. A kontrollröntgen elkészítése után a csatornát AutoSWEEPS módban alkalmazott SkyPulse lézerrel aktivált 17%-os EDTA és 5,25% NaOCl oldattal átöblítettük. A lézert néhány 15-20 másodperces ciklus idejére alkalmaztuk, majd a csatorna átjárhatóságát kézi tű segítségével ellenőriztük. Ekkor egy újabb kontrollröntgen készült, amely azt mutatta, hogy a tűnkkel az előzőleg elkészített gyökértömés végénél mélyebbre jutottunk (18. ábra). Ezután a fogat egy kompozitból készült ideiglenes töméssel zártuk, majd visszarendeltük egy következő időpontra.
A következő ülésben a gyökércsatornák öblítésére szinte végig AutoSWEEPS módban alkalmazott SkyPulse lézerrel aktivált 5,25% NaOCl oldatot használtunk. Fontos kiemelni, hogy az aktiválás során a lézervégződés hegyét a gyökércsatorna bemeneti nyílás nívója alá helyeztük folyamatosan ügyelve arra, hogy közben a gyökércsatorna falát ne érintsük meg. Ez egy nagyon fontos módosítás az eredeti technikához képest, amelyet Giovanni Olivi vezetett be. A hagyományos technika szerint történő AutoSWEEPS aktiváció során a lézer hegye a gyökércsatorna-bemeneti nyílás fölött helyezkedik el, úgy, hogy a csúcsát az aktiválási ciklus során folyamatosan mozgatjuk, hogy az más-más irányba mutasson. A nem átjárható csatornák ellátása során a lézer hegyének csatornabemeneti nyílás nívója alá való helyezésével sokkal nagyobb hatékonyságot érhetünk el. Minden 5–6. NaOCl aktiválási ciklust követően 17%-os EDTA-t alkalmaztunk. A lézeres aktiválási ciklusokat követően a gyökércsatorna egyre nagyobb mélységben vált átjárhatóvá. A gyökércsatorna tágítására eleinte
C-PILOT tűket használtunk, majd minden egyes 2-3 mm-es munkahossz nyereséget követően az eddig átjárható csatornaszakaszt gépi tűkkel tágítottuk tovább. Ez a módszer a hagyományos crown-down technikával történő gyökércsatorna-megmunkálásra emlékeztethet, de az AutoSWEEPS aktivációnak köszönhetően a C-PILOT tűk a csatorna mélyén lévő részeket sokkal passzívabb módon tudták elérni, miközben csupán 30°-30°-os az óramutató járásával megegyező, majd azzal ellentétes irányú tekerő mozdulatokkal levezettük. Ezzel ellentétben a klasszikus módszernél folyamatos nyomás mellett kell tekerni, majd visszafelé húzni (nyomni 45°-ban az óramutató járásával megegyező irányba elforgatni, majd húzni). Amennyiben lehetőségünk van az előbbiekben leírt módszer alkalmazására, akkor sokkal kisebb az esélye, hogy álutakat hozzunk létre az erősen görbült csatornákban, valamint sokkal kiszámíthatóbb módon tudjuk a teljes munkahossz átjárhatóságát biztosítani (glide path). Végül mindkét meziális csatornában végig tudtunk menni a teljes munkahosszon. Ezt periapikális röntgen segítségével ellenőriztük (19. ábra). A röntgenfelvételen látható volt, hogy mindkét tű enyhén S alakba görbül. Ez igazolta azt, hogy nem változtattuk meg a csatornák eredeti lefutását. Azonban a hosszú ideig történő irrigáció és AutoSWEEPS aktiváció ellenére a disztális csatornában nem tudtuk a teljes munkahosszt elérni. A meziális csatornákat teljes munkahosszon 30/.04 Endostar E3 Azure gépi tűkkel feltágítottuk.
Végső átöblítésként 5,25%-os NaOCl és 17%-os EDTA oldatot alkalmaztunk. A gyökértömés elkészítése során epoxy resin sealert és meleg guttaperchát használtunk (continuous wave technika). A kész gyökértömés minőségét periapikális röntgenfelvétel segítségével ellenőriztük (20. ábra). A fogat kompozit tömőanyaggal építettük fel, illetve üvegszálas
csappal is megerősítettük. Ezt követően a pácienst csücsökborítást biztosító indirekt restaurátum készítése céljából visszairányítottuk a kezelőorvosához.
Az 56 éves férfi pácienst a bal alsó bölcsességfoga (38) endodonciai kezelésének céljából irányították dr. Witkowski rendelőjébe. A fog anatómiai helyzete és a páciens korlátozott mértékű szájnyitása megnehezítette a hagyományos módszerekkel történő endodonciai ellátás kivitelezését. A kezelés megtervezéséhez periapikális röntgenfelvétel készült és a fog belső anatómiai felépítését ezen felvétel segítségével vizsgáltuk (21. ábra). Az endodonciai kezelési tervet a vizsgálati eredmények alapján határoztuk meg.
A hozzáférési nyílás a referálást végző fogorvoskolléga által már előzetesen kialakításra került. A fogbélkamra inspekciója során visszamaradt pulpaszövetet észleltünk (22. ábra) A gyökércsatorna-bemenetek pontos lokalizációja előtt ezt még feltétlenül el kellett távolítani. Ez bármely endodonciai kezelés esetében érvényes, és a standard protokollunk része, mivel ellenkező esetben a pulpakamrában lévő törmeléket a gyökércsatornák mélyére juttathatjuk. Ehhez egy 2,780 nm-es hullámhosszon alkalmazott RFPT5–10 végződéssel ellátott (23. ábra) Er,Cr:YSGG lézer készüléket (Waterlase, BIOLASE) használtunk. A protokoll szerint ezen beavatkozás során először 1 percen keresztül folyamatos aktivációt végzünk, majd 1 percen keresztül nyugalomban hagyjuk a pulpakamrában lévő folyadékot (24. ábra). Csupán a fogbélkamrában lévő szövetek maradéktalan eltávolítását követően kezdhetjük meg a gyökércsatornák mechanikai feltágítását. A fogbélkamra megtisztítását követően (25–26. ábra) egy forgómozgást végző gépi gyökértágítót használtunk a gyökércsatorna megmunkálására. Ez ebben az esetben egy 12.5/.04 R-PILOT (VDW) gépi tű volt (27. ábra). A gyökércsatorna-rendszer belső anatómiai felépítésére és a szűk gyökércsatornákra való tekintettel hoztuk meg azt a döntést, hogy kizárólag ezt az egy tűt használjuk a mechanikai megmunkálás során. A feltágítás során a ki-be (in-out) technikát alkalmaztuk. Az egyes tágítási fázisok között nagy volumenű átöblítést és lézeres aktiválást végeztünk. A végső átöblítés során az aktiválást egy RFPT5–10 végződéssel ellátott Er,Cr:YSGG lézerrel végeztük (28–29. ábra).
A csatornák ezt követően készen álltak a gyökértömés elkészítésére (30–31. ábra. A gyökértömést a csatornába fecskendezett (cavit piston technique) VDW.1Seal biokerámiai sealer (VDW) segítségével készítettük el (32–34. ábra). A gyökértömés elkészítését követően kontrollröntgen készült (35. ábra). A beavatkozás során alkalmazott „lézer-asszisztált” endodonciai protokollnak köszönhetően képesek voltunk az egyébként mechanikai eszközökkel elérhetetlen laterális csatornákat is megfelelő módon megtisztítani és letömni. Az Er,Cr:YSGG lézerrel aktivált átöblítőszerek áramlási tulajdonságainak köszönhetően ez a rendkívül konzervatív mértékű feltágítás is elegendő volt a klinikailag sikeresnek imponáló gyökértömés elkészítéséhez.
A 49 éves férfi pácienst egy már korábban elkezdett endodonciai kezelés komplettálása céljából utalták dr. Witkowski rendelőjébe. A referálást végző orvos nehézségekkel szembesült a csatornák feltágítása során, illetve a disztális
gyökércsatornát sem tudta megfelelő módon lokalizálni. A kérdéses fogról egy kiindulási periapikális röntgenfelvétel készült (36. ábra).
Az ideiglenes tömés eltávolítását követően az üreg falainak magasságát oly mértékben redukáltuk, hogy okklúzió és artikuláció közben ne érintkezzen az antagonista
fogazattal. Erre a fog biomechanikai terhelésének csökkentése érdekében volt szükség. Ezután az összes gyökércsatornában megpróbáltuk a teljes munkahosszat elérni, de sajnos a disztális gyökércsatorna nem bizonyult szabadon átjárhatónak, emiatt lézerek alkalmazásával kiegészített endodonciai ellátási protokoll alkalmazása mellett döntöttünk. A disztális gyökércsatornát először az elérhető munkahossznak megfelelően egy R25 RECIPROC BLUE gépi gyökérkezelő tűvel feltágítottuk, majd amikor már nem tudtunk továbbhaladni, megkezdtük a lézer aktivált átöblítési protokoll alkalmazását. A mesialis gyökércsatornák teljes mértékben átjárhatóak voltak. Ezeket 25/.04 VDW.ROTATE (VDW) gépi gyökérkezelő tűvel tágítottuk fel.
A gyökércsatorna-rendszer feltágítását követően elvégeztük a végső átöblítést. A folyamat során 5,25%-os NaOCl oldat segítségével folyamatos átöblítést végeztünk és az átöblítőszert RFPT5–14 végződéssel ellátott Er,Cr:YSGG lézer segítségével folyamatosan aktiváltuk (37–38. ábra). Az átöblítési protokoll befejezését és a csatornák kiszárítását követően vizuálisan ellenőriztük, hogy az összes törmeléket sikeresen el tudtuk-e távolítani (39–40. ábra). Az eset ellátása során a disztális gyökércsatorna apikális harmadát nem volt lehetséges mechanikusan feltágítani, ezért úgy döntöttünk, hogy a gyökértömés elkészítésére a sealer befecskendező technikát (cavit piston technique) alkalmazzuk. A gyökértömés során VDW.1Seal sealert és guttaperchát használtunk (41–43. ábra). A gyökértömés elkészítését követően (44. ábra) kontrollröntgen készült (45–46. ábra), ennek segítségével ellenőriztük a gyökértömés csúcsig érőségét és falállóságát.
A gyökércsatorna-rendszer átöblítés hatékonyabbá tételére kidolgozott új eszközök és technikák alkalmazásával folyamatosan fejleszthetjük praxisunkat és jobb eredményeket biztosíthatunk a pácienseink számára. Az átöblítőszerek aktiválását végezhetjük szonikus, vagy ultrahangos eszközökkel, lézerekkel, de a GentleWave technológiát (Sonendo) is erre a célra fejlesztették ki. Az innovációk megjelenése ellenére a legnagyobb nehézséget továbbra is a fogak belső anatómiai felépítése jelenti. A komplex belső anatómia jelentős mértékben megnehezíti a csíraszám csökkentését, azaz a fog belsejének fertőtlenítését. Az újrakezelést igénylő esetek ebből a szempontból még nagyobb kihívást jelentenek. Annak ellenére, hogy a lézerek fogászati alkalmazásának kezdete egészen az 1960-as évekre nyúlik vissza, a kezelési módszerek (különösen az endodoncia területén) hosszú ideig változatlanok maradtak. Több elképzelés is született arról, hogy hogyan lehetne a tisztítás és a fertőtlenítés hatékonyságát dióda-, vagy Nd:YAG lézerek segítségével tovább fokozni, azonban az igazi áttörést az Er,Cr:YSGG és Er:YAG lézerek endodonciai alkalmazása jelentette. Ennek hátterében a gyökércsatorna-rendszerbe juttatott energia nagysága és az átöblítőfolyadékok fokozott áramlási tulajdonságai állnak. Ezeknek köszönhetően a gyökércsatornák között jelenlévő keskeny összeköttetések (isthmusok) is jobban átjárhatóvá válnak és a keményszöveti törmelék eltávolítása is hatékonyabbá válik. De Moor és mtsai. vizsgálata alapján a dentincsatornácskákat eltömeszelő smear layer eltávolítása háromszor gyorsabb, mint amely a passzív ultrahangos aktiváció esetében megfigyelhető.
6 fejezet 49 szakmai cikk 388 oldal 1980 színes kép
A 2,780 nm-es hullámhosszon alkalmazott Er,Cr:YSGG lézer vízben mérhető abszorbciós koefficiense sokkal kisebb a 2,940 nm-es hullámhosszon aktivált Er:YAG lézeréhez képest, amely gyakorlati szempontból azt jelenti, hogy a lágyrészekben nagyobb mélységben képes a hatását kifejteni. Vizes alapú környezetben a kavitációs hatás miatt az átöblítőszerekben (amelyek ugyancsak nagy mennyiségű vizet tartalmaznak) nagy energiájú áramlás jön létre. A cikkben említett Er,Cr:YSGG lézer készülék 60 μs-os impulzusokban adja le az energiát. A buborékok megjelenése, azok tágulási jellemzői és alakja leginkább az aktuálisan alkalmazott lézervégződéstől függ. Az általunk alkalmazott lézer egy impulzussal kevesebb energiát közöl, mint egy Er:YAG lézerből leadott 25 μs hosszúságú impulzus. Ugyanakkor jelenleg nem áll rendelkezésre olyan tudományos adat, amely azt igazolná, hogy ez szignifikáns különbséget jelentene a klinikai alkalmazhatóság szempontjából. Az Er,Cr:YSGG lézer segítségével több módon is aktiválhatjuk az átöblítőszereket. Az aktiválásra általában az RFT3 vagy az RFT2 végződéseket használják, amelyeket a gyökércsatornákba kell vezetni. Ugyanakkor ezek a végződések nagyon keskenyek és ennek megfelelően elég törékenyek. Egy másik lehetőség, ha az átöblítőszert a fogbélkamrába vezetett végződéssel aktiváljuk. Ez a módszer rendkívül hasznos lehet elzáródott, beszűkült vagy hagyományos módszerekkel megmunkálhatatlan gyökércsatornák ellátása során. Ebben az esetben az RFPT5 hegy kerül alkalmazásra (47. ábra). Ez nem egy hagyományos kialakítású hegy, amely nemcsak oldalirányba adja le az energiát (radial firing tip), hanem a hegy egyedi lapos végű kialakításának köszönhetően oldal- és apikális irányba is közöl energiákat (48. ábra). Ez nagymértékben elősegíti az átöblítőszerek áramlását és a gyökércsatorna mé-
lyén elhelyezkedő átöblítőszer aktiválását. Az átöblítőszerek aktiválása során a kezelést végző orvosnak mindig figyelembe kell vennie az aktuálisan alkalmazott hegy kialakítását és a gyökércsatorna mechanikai feltágítását ennek megfelelően kell elvégeznie. Ezáltal elkerülhető lehet, hogy az az átöblítőszer aktiválás hatására a periapikális térbe kerüljön. A Fotona által gyártott Er:YAG lézerkészülékeken egyaránt elérhető a PIPS (photon-induced photoacoustic streaming; foton indukált foto-akkusztikus áramlás) és az AutoSWEEPS mód, így a kezelést végző orvos a lézer hegyének pulpakamrába helyezése és gyökércsatorna-bemenetek fölé történő pozicionálása révén az átöblítőszert az összes gyökércsatornában egyszerre aktiválhatja. A legújabb kutatások azt igazolják, hogy az átöblítőszerek fokozott áramlása és a képződő buborékok összeomlása az egész gyökércsatorna-rendszerben (az apikális harmadot is beleértve) egyidejűleg megy végbe. Az is bizonyításra került, hogy lézersugarak laterális csatornákba való penetrációjának mélysége mindkét módban meghaladja az 1 mm-t. Több különböző kialakítású végződés is rendelkezésünkre áll, amelyet az átöblítőszerek aktiválása során használhatunk. A PIPS és AutoSWEEPS üzemmódhoz dedikált PIPS és AutoSWEEPS toldalékokat fejlesztettek ki, amelyek 0,3, 0,4 és 0,6 mm átmérővel rendelkeznek. Ezek lapos heggyel és hengeres kialakítású testtel rendelkeznek. Mivel az előbbiekben említett végződések nagyon vékonyak és törékenyek, ezért a tágabb, jól átjárható csatornákban lévő átöblítőszerek aktiválására inkább a kónikus alakú 600/8-as végződést (49. ábra) ajánljuk. Ez az egész gyökércsatorna-rendszerben egyszerre indukál buborékképződést és sokkal ellenállóbb, mint a keskenyebb átmérővel rendelkező fejek. Ugyanakkor, ha kalcifikálódott gyökércsatornák megtisztítását végezzük, akkor inkább a vékonyabb 300/20 SWEEPS végződések használatát ajánljuk (50. ábra), mivel ezekkel sokkal nagyobb mértékű energiamennyiséget tudunk közvetlenül a kérdéses csatornába juttatni.
Az Er,Cr:YSGG és Er:YAG lézerek endodonciai alkalmazása új fejezetet nyitott a gyökércsatorna-megmunkálás területén. A rendelkezésre álló tudományos eredmények azt mutatják, hogy ezzel a technológiával sokkal hatékonyabban lehet a komplex belső anatómiai felépítéssel rendelkező fogak endodonciai ellátását elvégezni. Lehetővé teszi a konzervatív gyökércsatorna megmunkálást, és anélkül biztosítja az oldalcsatornák megtisztíthatóságát, hogy az aktiválásra szolgáló eszközök hegyét az apikális harmadba kellene vezetni (mint ahogy azt a szonikus vagy ultrahangos eszközök esetében megszokhattuk). Szintén az erényei közé tartozik, hogy beszűkült csatornák ellátása során sokkal kisebb esélylyel alakul ki álút, és hogy a nehezen átjárható csatornák sealerrel való feltöltését is lehetővé tudja tenni.
Az Er,Cr:YSGG és Er:YAG lézerkészülékek endodonciai kezelések során történő alkalmazása egy nagyon nagy potenciállal rendelkező technikának tűnik és választ adhat eddig megoldhatatlannak tűnő problémákra. Bátran kijelenthetjük, hogy a lézerasszisztált endodonciának helye van a mindennapi gyakorlatban, azonban széles körű elterjedése előtt még szükség van a technológia további klinikai és in vitro tesztelésére. Forrás: Roots 2023/1
Dr. Johnny Onori (Spanyolország)
Diagnózis és kezelési lehetőségek
A nyaki harmadban kialakult külső gyökérfelszívódás pontos etiológiai háttere a mai napig tisztázatlan. Vélelmezhetően multifaktoriális okok állnak a kialakulása hátterében, amely a dentin fognyaki régióban történő szabaddá válásához vezet. Ez a folyamat a saját természetes fogak mintegy 10%-át érinti. Az exponálódott dentin ennek következtében kapcsolatba kerül az oszteoclast sejtekkel, amelyek a foganyag leépülését okozzák. Ebben a cikkben egy olyan klinikai eset kerül bemutatásra, amelyben egy krónikus periapikális lézióval és Class III. külső fognyaki gyökérfelszívódással rendelkező fog kezelését végeztük. Az ellátás során a fogat sebészi módszerekkel szándékosan eltávolítottuk, majd a szájüregen kívül rezekáltuk és a reszorbcióval érintett területet is kezeltük, ezt követően pedig replantáltuk.
A 38 éves hölgy páciens a jobb alsó második kisőrlőfog területéről (45) eredő fájdalom miatt kereste fel rendelőnket. A panaszai rágás közben fokozódtak. A páciens általános anamnézisében nem szerepelt semmi kiemelendő. Elmondása szerint a bal alsó kisőrlőfogát korábban gyökérkezelték, valamint 7 évvel ezelőtt fogszabályzó kezelésben részesült. A klinikai vizsgálat során a kérdéses fognál kopogtatási érzékenységet regisztráltunk, illetve a fog disztoapproximális felszínének megfelelően több mint 3 mm-es tasakmélységet mértünk.
A radiológiai felvételek elemzése során a fog gyökércsúcsának megfelelően radiolucens elváltozást észleltünk, valamint a fognyak területének megfelelően szintén egy radiolucens területet figyelhettünk meg (1–2. ábra). Az elváltozások kiterjedésének és mélységének pontosabb meghatározása érdekében CBCT-felvétel készült (3. ábra). A felvétel alapján Heithersay-féle III. osztályú külső fognyaki gyökérfelszívódást diagnosztizáltunk (Heithersay Class III external cervical invasive root resorption; ECIR). Ezzel egyidejűleg pedig szimptomatikus periapikális periodontitis is fennállt. Ezt követően a pácienst a vizsgálati eredményekről, a kezelési alternatívákról és a várható prognózisról is tájékoztattuk.
Az ECIR a külső gyökérreszorbció egy olyan speciális formája, amely kialakulásának pontos patomechanizmusa továbbra sem egyértelmű az endodontusok számára. Ebben az esetben az elváltozás kialakulását a fogmozgatás során alkalmazott erők, de a korábbi endodonciai kezelés is okozhatta. A lehetséges okok meghatározása során nem szabad a kórelőzményben szereplő információkról sem megfeledkeznünk.
Az ECIR következtében kialakult defektus ellátását Heithersay ajánlásainak megfelelően, de egy új kezelési alternatíva alkalmazásával végeztük. A kezelés során a fogat szándékosan eltávolítottuk és extraorálisan kezeltük (rezekció, reszorbció ellátása). Heithersay az ECIR okozta elváltozásokat négy kategóriába sorolta. Az I. és II. osztályba sorolt elváltozások kezelése során általában 100%-os sikerességre számíthatunk. Ezzel szemben a III. osztályú elváltozások esetében már csak 77%-os, míg a IV. osztályú lézióknál csupán 12%-os sike-
1. ábra: Kiindulási panorámaröntgen.
2. ábra: Kiindulási periapikális felvétel.
resség jellemző. Minél előrehaladottabb állapotban van a rezorptív lézió, annál roszszabb prognózisra és annál komplexebb kezelési igényre számíthatunk.
A CBCT-felvételek rendkívül hasznos információkkal szolgálhatnak az endodonciai kezelések során. A felvételek segítségével meghatározhatjuk a külső fognyaki rezorptív lézió kiterjedését, felismerhetjük és osztályba sorolhatjuk az esetleges periapikális elváltozásokat, valamint nagyobb pontossággal felmérhetjük a fog belső anatómiai felépítését. Több szerző egymástól függetlenül is igazolta, hogy a CBCT rendkívül hasznos eszköz a rezorptív léziók diagnosztizálása során.
3. a–d ábra: A koronális síkú metszeten jól megfigyelhető a lézió mesio-distalis kiterjedése (a), a szaggitális síkú metszet a lézió vesztibulo-orális nagyságát mutatja (b), a gyökércsúcs körül elhelyezkedő lézió a 3 dimenziós rekonstrukciós képen és a mesio-disztális irányú metszeten is jól megfigyelhető (c–d).
A cikkekben bemutatott esetnél a kezelésre szoruló fog gyökércsúcsánál periapikális lézió volt megfigyelhető és ezzel egyidejűleg külső fognyaki gyökérrezorpció is fennállt. A periapikális és a rezorptív lézió méretének pontos meghatározását és térbeli elhelyezkedésének vizsgálatát CBCT-felvétel segítségével végeztük.
A periapikális léziók rezekciót követő gyógyulási hajlamát több faktor is befolyásolhatja. Ezek közül elsősorban a retrográd preparáció mélységét (amelynek minimum 3 mm-t el kell érnie) és a retrográd gyökértömés során felhasznált anyagot emelnénk ki. A beavatkozás óta eltelt idő is hatással van a gyógyulás aktuálisan megfigyelhető stádiumára. Minél hosszabb idő telt el a beavatkozás óta, potenciálisan annál teljesebb körű csontos telődésre számíthatunk. Ebben az esetben az obszervációs periódus során több CBCT-felvételt is készítettünk, hogy végig tudjuk követni a gyógyulás folyamatát. A kezelés során a fogat szándékosan eltávolítottuk, majd a rezorpciós üregben lévő granulációs szövetet kikürettáltuk és a megtisztított felszíneket 90%-os triklór-ecetsavval fertőtlenítettük. Az így előkészített üreget hidrofil tulajdonságokkal rendelkező dual kötésű nano-hibrid resintartalmú ionomer cementtel töltöttük fel (Geristore, DenMat; 4. ábra).
Ezt követően a gyökércsúcsot extraorálisan rezekáltuk, majd a gyökércsatornát retrográd irányból ultrahangos eszközök segítségével 3 mm mélységben feltágítottuk (EndoSuccess apikális sebészeti készlet, EndoSuccess apical surgery kit; ACTEON). A retrográd gyökértömést ásványi trioxid aggregátum (mineral trioxide aggregate, MTA) felhasználásával végeztük (CeraPutty, Meta Biomed), majd replantáltuk a fogat. A visszahelyezést követően szemi-rigid sín segítségével stabilizáltuk a fogat, amelyet 4 hét elteltével távolítottunk el (5. ábra). A beavatkozásokat követően 6 hónappal a gyógyulás ütemének ellenőrzése érdekében kontroll CBCT-felvételt készítettünk. A felvételen a terület maradéktalan regenerációja volt megfigyelhető, a periapikális lézió szinte teljes mértékben telődött (6. ábra). A szájüregi állapot is megfe-
4. a–b ábra: A sebészi fogeltávolítást követően végzett extraorális ellátás. A rezorpciós üreg kürettálását követően az esetlegesen visszamaradt lágyszövetek eltávolítására triklór-ecetsavba mártott vattagombócot használtunk (a), a kitisztított üreget Geristore-ral (DenMat) töltöttük fel (b).
lelőnek mutatkozott, illetve kontroll periapikális röntgen is készült, amely szintén megerősítette a CBCT felvételen látottakat (a korábban jelenlévő periapikális felritkulás csontos telődése) (7. ábra). A páciens teljes tünet- és panaszmentességről számolt be.
A kiindulási vizsgálat során talált eredmények közlését és a terápiás javaslat ismertetését követően a páciensben a saját fogának elvesztésével kapcsolatban merültek fel félelmek. A kezelési terv ismertetése során lépésről lépésre elmagyaráztuk az elvégezni kívánt beavatkozás menetét, azonban arra is felhívtuk a figyelmét, hogy a kezelés sikeressége nagymértékben a páciens gyógyulási hajlamától függ. A cél az volt, hogy a páciens kívánságainak megfelelően a saját természetes fogát a lehető leghosszabb ideig funkcióban megőrizhessük és elkerüljük, hogy a fog elvesztését követően implantátumot kelljen behelyezni. Azt is kifejtettük neki, hogy annak ellenére, hogy a fogeltávolítást követő replantáció sikeressége 90% körül van és a gyökér-
5. a–d. ábra: A gyökércsúcs-rezekciót és a retrográd preparálást extraorálisan végeztük. A retrográd üregalakítás során ultrahangos eszközöket alkalmaztunk (a–b), a retrográd gyökértömés CeraPutty-val (Meta Biomed) készült (c–d).
ábra: A 6 hónappal később készült kontroll CBCT-felvételen a periapikális lézió szinte teljes körű gyógyulása volt megfigyelhető.
ábra: A szintén 6 hónappal később készített kontroll röntgenfelvétel is a CBCT-felvételen látottakat erősítette meg.
csúcs-rezekció sikeressége is 80% körülire tehető, az elérhető eredményt elsősorban a parodontális rostokban lévő őssejtek regenerációs hajlama, a beavatkozás során használt anyagok, valamint ezeknek a bioaktív tulajdonságai határozzák meg.
Jelenleg is szakmai vita tárgyát képzi, hogy melyik a legideálisabb anyag a rezorpció által okozott üregek ellátására. Az ínnyel való biokompatibilitás, valamint a biológiai tulajdonságok tekintetében a CeraPutty és a Geristore dual kötésű nano-hibrid resintartalmú ionomer cement alkalmasnak
látszik a gyökérrezorpciók ellátására. Ezekkel az anyagokkal jó eredményeket lehet elérni. A Geristore mellett hosszú hámtapadás is ki tud alakulni, és ezen felül úgy tűnik, hogy a Geristore felszíne más anyagokhoz képest kedvezőbb plakkretentív tulajdonságokkal rendelkezik. A sebészi fogeltávolítást követően extraorálisan végzett rezektív beavatkozások sikeressége megfelelőnek látszik ahhoz, hogy a páciens számára jó eséllyel biztosíthassuk a fog hosszú távú megtarthatóságát. Ez egy olyan terápiás alternatíva, amely alkalmas lehet a periapikális lézióval rendelkező gyökérkezelt fogak oly módon történő ellátására, amely lehetővé teszi az egyébként elérhetetlen területeken lévő cervikális rezorptív léziók sikeres kezelését.
Forrás: Roots 2023/1
Prémium kategóriás alsó/felső karos kezelőegység
DELUXE vezérlés, 8+4 LED páciens lámpa, NSK NLZ LED-es mikromotor
2003 ÓTA FOLYAMATOSAN ELNYERTE A LEGJOBB KEZELŐEGYSÉG FŐDÍJAT
Csak az a gyártó ad 5 év garanciát a termékére, aki biztos a gyártmánya minőségében
www.a-dec.com/virtual-tour
A-dec/NSK elektromos, nyomaték szabályozott LED-es, ENDO funkciós mikromotor, rpm 100-40000
Az A-dec kezelőegységek szervizeléséhez a vételár mindössze átlagosan 1,97%-át teszi ki az évente vásárolt alkatrész. Ebben az A-dec páratlan.
Felsőkaros kezelőegység, DELUXE vezérlés, 8+4 LED vagy 4 LED páciens lámpa, NSK NLZ LED-es mikromotor
Kompakt alsókaros kezelőegység DELUXE vezérlés, 8+4 LED vagy 4 LED páciens lámpa, NSK NLZ LED-es mikromotor
Prof. dr. Philippe Sleiman (Libanon)
Valóság vagy illúzió?
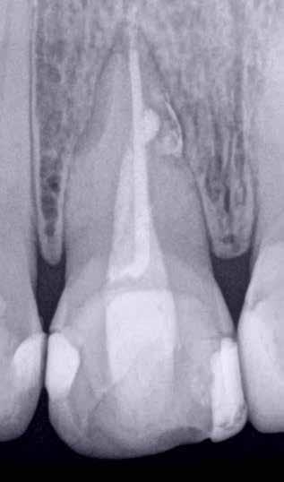
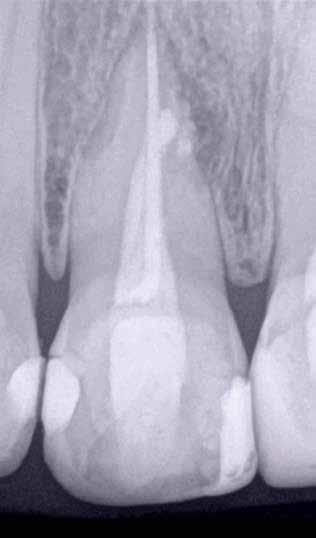
1. ábra: Kiindulási röntgenfelvétel. – 2. a–c. ábra: A horizontális irányú metszeten kiterjedt csontpusztulás jelei láthatóak (a), a vertikális irányú metszeteken mindkét középső metszőfognak megfelelően észlelhető a csontpusztulás (b–c).
A csontállomány leépülése még a mai napig jelentős kihívás elé állítja a fogorvosokat. A meglévő csontmennyiség megőrzését a saját természetes fogak megtartása biztosítja. A saját
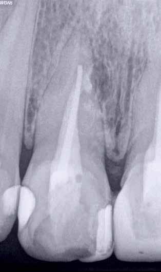
3. ábra: Az eset ellátása során a „rezekciómentes” technikát alkalmaztuk. – 4. a–b ábra: Posztoperatív kontrollröntgen (a), 9 hónappal később készített kontrollfelvétel (b).
fogak elvesztését követően a rendelkezésre álló csont fiziológiás módon elkezd leépülni. Azt a folyamatot nem igazán tudjuk irányítás alatt tartani. Ugyanezzel a folyamattal szembesülünk a bakteriális fertőzések okozta parodontális megbetegedések kialakulása esetén. Vertikális irányú csontpusztulás esetén sokszor reménytelen prognózisúnak ítéljük a defektus mellett lévő fogakat. A vertikális irányú csontpusztulás mellett sokszor horizontális irányú csontveszteség is kialakul. Jelen cikknek az a célja, hogy esélyt adjon ezeknek a fogaknak a megtartására. Az itt bemutatott eljárást „rezekciómentes” technikának (zero apicectomy technique) nevezzük. A gyökércsúcs körül elhelyezkedő cisztózus elváltozások kezelését két fázisra bontja. Az elsőt magának a gyökércsatornának az ellátása jelenti. Erre gyökérkezelés és gyökértömés készítése jelenti a megoldást. A második fázis magának a cisztózus elváltozásnak és a gyökércsúcs cisztában elhelyezkedő részének az ellátásával foglalkozik. A „rezekciómentes” szemlélet a gyökércsatorna integritásának a megőrzését és az cisztaüregben lévő gyökérszakasz kezelését helyezi középpontba. Ezekben az esetekben a legnagyobb problémát az exponálódott gyökérfelszínen lévő biofilm jelenti. Ezt a terület feltárását és a ciszta eltávolítását követően egy 1%-os citromsavoldattal átitatott bondecset segítségével próbáljuk meg eltávolítani. A citromsav képes a gyökérfelszínen lévő baktériumok elpusztítására. Ilyenkor ügyelnünk kell arra, hogy ne karcoljuk meg a gyökérfelszínt és hogy a beavatkozás befejezése előtt a felvitt citromsavat bő fiziológiás sóoldatos átöblítéssel eltávolítsuk. Ezt követően 17%-os EDTA oldattal átitatott bondecsettel dörzsöljük át a területet annak érdekében, hogy az itt jelenlévő parodontális rostok regenerációját elősegítsük. Az EDTA-t 1 percig
hagyjuk a gyökérfelszínen, majd szintén bő fiziológiás sóoldatos átöblítéssel eltávolítjuk. Ezzel az eljárással egy olyan környezetet tudunk a parodontális rostok számára biztosítani, amely lehetővé teszi a regenerációjukat. Azáltal, hogy lehetővé tudjuk tenni a parodontális rostok regenerációját, meg tudjuk előzni a külső rezorpció és ankylozis kialakulását és emellett ideális körülményeket teremtünk a horizontális és vertikális irányú csontképződés számára.
Egy fiatal hölgy, aki modellként dolgozik és emiatt nagy jelentőséget tulajdonít a saját fogai megőrzésének, a két középső alsó metszőfoga alatt kialakult duzzanat miatt kereste fel a rendelőnket. Vizsgálatot követően megállapítottuk, hogy a fogak mellett 20 mm szélességű tasak van jelen, amely az egyik alsó középső metszőfog disztális oldalától a másik alsó középső metszőfog disztális felszínéig terjed. Ebből az következik, hogy ezen a területen a teljes bukkális kortikális csontlemez leépült. Mindkét fog III. fokú mobilitással rendelkezett, amely tovább rontotta a kérdéses fogak várható prognózisát. Szenzibilitásvizsgálatot is végeztünk. A két alsó középső metszőfog esetében a páciens nem jelzett hidegingert, de a többi fog esetében fiziológiás választ adott. Periapikális röntgenfelvétel készült, amelyen nem mutatkozott meg a vélelmezett elváltozás (1. ábra). Ennek megfelelően CBCT-felvételt készítettünk, hogy jobban meg tudjuk vizsgálni a kérdéses területet. Ezen a felvételen már láthatóvá vált a vertikális és horizontális irányú csontpusztulás tényleges mértéke. A horizontális síkban készített metszeten a két alsó középső metszőfog körül megfigyelhető volt a bukkális kortikális csontlemez és a szivacsos csontállomány hiánya. A defektus szélessége 14,11 mm, a mélysége pedig 6,28 mm volt (2. a. ábra). A vertikális irányú metszeten láthatóvá vált, hogy a középső metszőfogak gyökerének bukkális oldalát nem fedi csont, és ez a defektus már a gyökércsúcsok alatti területre is kiterjedt (2. b–c. ábra)
A horizontális irányú csontpusztulás mértéke 5,5 mm és 6,3 mm között mozgott. Ez egy terminális állapotnak mutatkozott és az érintett fogak megtartása lehetetlennek tűnt.
A páciens nem örült a vizsgálati eredménynek és a fogak várható prognózisának ismertetését követően. Ezután megkértem, hogy adjon bővebb tájékoztatást ezen fogak „múltjával” kapcsolatban, hogy jobban megérthessem, milyen okok vezettek a jelenlegi állapot kialakulásához. Felidézte, hogy hosszú idővel ezelőtt traumás sérülés érte az alsó frontfogait. Ennek ismeretében azt a hipotézist állítottam fel, hogy a sérülés hatására traumatogén ciszták alakultak ki a gyökércsúcsok körül, amelyek már vélelmezhetően több éve fennállnak. Felvázoltam neki a „rezekciómentes” sebé-
5. a–b. ábra: A kiindulási (a), és a 9 hónapos kontroll (b) CBCT-felvételek horizontális síkban történő kiértékelése.
szi technika lehetőségét, de emellett arról is tájékoztattam, hogy a kifejezett mértékű csontpusztulás miatt viszonylag nagy esély van a sikertelenségre.
A páciens a kezelési tervet elfogadta. Ezt követően egy ülésben végeztük a fogak enodonciai ellátását és a sebészi beavatkozás elvégzését. A lebenyképzést követően a cisztát eltávolítottuk és a fogak gyökérfelszínét a fent említett módszerrel kezeltük (3. ábra). Nagyon fontos, hogy a teljes beavatkozás során folyamatosan gondoskodjunk a terület
6. a–c ábra: A 9 hónapos kontroll CBCT-felvételen a defektus horizontális irányú mérete 4,42 mm-re csökkent (a), mindkét metszőfog esetében megfigyelhető volt a gyökércsúcsok körüli terület csontos telődése és a bukkális kortikális regenerációja (b–c).
nedvesen tartásával, mivel csak így tudjuk megelőzni a sejtek dehidratálódását. A sebszéleket varratok segítségével szorosan egyesítettük, majd a fogak stabilizálása érdekében merev sínt helyeztünk fel és beállítottuk a páciens okklúzióját. A rigid sínt 6 hétig hagytuk fent, majd egy flexibilisre cseréltük. A műtétet követően a páciens számára 7 napig antibiotikum és fájdalomcsillapító szedését, valamint alkoholmentes szájvíz használatát írtuk elő. Egy héttel a beavatkozást követően a varratokat eltávolítottuk és a hozzáférési nyílásokat végleges tömőanyaggal töltöttük fel.
a–e ábra: A kiindulási (a–b), és a 9 hónapos kontroll (c ) és a 18 hónapos kontroll (d–e) CBCT–felvételek összehasonlítása.
8. a–d ábra: A kiindulási (a–c), és a 18 hónapos kontroll (b–d) CBCT-felvételek összehasonlítása. Jól látható, hogy a korábban meglévő csontos falú tasak teljesen telődött.
A beavatkozás elvégzését követően és a 9 hónapos kontroll során is egy-egy periapikális röntgenfelvétel készült. A felvételek összehasonlítását követően megállapítottuk, hogy az alsó középső metszőfogak közti területen csontos telődés jelei voltak megfigyelhetőek (4. ábra). A 9 hónapos kontroll során egy CBCT-felvételt is készítettünk. A horizontális irányú metszetek vizsgálatát követően megállapítottuk, hogy a korábban 14,11 mm-es defektus mérete 4,42 mm-esre zsugorodott. Mind a kortikális, és mind a trabekuláris csontállományban regeneráció jelei voltak megfigyelhetőek (5. ábra). A vertikális síkú metszeten látható volt, hogy a bukkális kortikális elkez-
dett visszaépülni a gyökérfelszínre (6. ábra). Ebben a síkban nagyjából 8,2 mm-es csontnyereség volt észlelhető és jól látható volt, hogy a csontállomány közvetlen kapcsolatban van a gyökérfelszínnel. Ha megfelelő stabilitású vázat biztosítunk a csontképződés számára, akkor a csontos regeneráció bármely irányba végbemehet. Ez azt jelenti, hogy a vertikális irányú csontképződés sem elképzelhetetlen egy olyan területen, ahol korábban nagy méretű, a külvilág felé nyitott parodontális tasakok helyezkedtek el. Igazából ez jelenti ennek a technikának lényegét. Úgy tudunk csontos regenerációt elérni, hogy a beavatkozás során nem használtunk csontpótló anyagot vagy membránt. A perioszteum nagyszerű állapotban volt, és számomra ez jelenti a lehető legjobb membránt.
A preoperatív, a 9 hónapos és a 18 hónapos kontroll CBCT-felvételek összehasonlítása során a kortikális és trabekuláris csontállomány teljes körű regenerációja volt megfigyelhető (7–8. ábra). A kiindulási felvételen egyértelműen megfigyelhető volt a vertikális és horizontális irányú csontpusztulás, valamint a nyitott parodontális defektus, a kontrollfelvételeken pedig a fiziológiás csontállomány visszaépülése. Adottak voltak a csontállomány vertikális irányú regenerációjához szükséges feltételek (9. ábra).
Az emberi test a mai napig tele van csodákkal. Egy rendkívül komplex szerkezet, amely továbbra is számos titkot tartogat magában. Sokszor nincs szükség komplex beavatkozások végzésére ahhoz, hogy az általunk kívánt eredményt el tudjuk érni. Gyakran a legegyszerűbb megközelítés a leghasznosabb, ha a biológiai jellemzőket akarjuk a gyógyulás során felhasználni.
Forrás: Roots 2023/1
9. a–f ábra: A kiindulási (a–b), és a 9 hónapos kontroll (c–d), és a 18 hónapos kontroll (e–f) CBCT-felvételek vertikális síkban történő összehasonlítása. A csontos regeneráció jelei egyértelműek.
Dr. Giovanni Olivi, dr. Linhlan Nguyen, dr. Matteo Olivi, dr. Jason Pang (Olaszország, Ausztrália)
A hagyományos endodonciai kezelés különböző egymásra épülő fázisokból épül fel, amelyeknek az a célja, hogy megszüntessék a gyökércsatorna-rendszerben és a periapikális térben kialakult akut és krónikus gyulladásos folyamatokat (1. táblázat).
A kezelés lépései: a gyökércsatorna-rendszer megtisztítása, a gyökércsatornák megfelelő méretre tágítása (amely lehetővé teszi az átöblítőszerek munkahossz végére jutását), a teljes gyökércsatorna-rendszer fertőtlenítése, a gyökércsatorna-rendszer gyökértömő anyaggal való teljes kitöltése és a fog koronai helyreállítása.
A gyökércsatornák kemomechanikai megmunkálása két fázisból áll: a kémiai módszerekkel történő fertőtlenítés, amelyet különböző átöblítőszerek használatával végzünk, valamint a gyökércsatornák mechanikai feltágítása és megtisztítása, amelyet kézi-, vagy gépi gyökérkezelő tűk használatával érünk el. Ugyanakkor már több tanulmányban is vizsgálták a mechanikai megmunkálás hatékonyságát és arra a megállapításra jutottak, hogy a vizsgált eszközök a gyökércsatorna-rendszer belső felszínének közel 35%-át változatlanul hagyják. Ennek megfelelően végső soron a gyökércsatorna-rendszer átöblítésének a hatékonysága határozza meg az endodonciai kezelések sikerességét. A mechanikai tágítás során az átöblítőszereket egy fecskendőre helyezett, az oldalán vagy a végén nyitott átöblítőkanül segítségével juttatjuk be a gyökércsatornába. A különböző átmérőjű eszközök használata során minden egyes eszközváltás között célszerű a gyökércsatornákat átöblíteni. Az átöblítőszerek a baktériumszám csökkentése mellett a gyökércsatorna síkosítását is biztosítják a mechanikai megmunkálás idejére. Ennek a cikknek az a célja, hogy egy olyan innovatív endodonciai ellátási protokollt mutasson be, amely a SWEEPS (shock wave enhanced emission photoacoustic streaming; lökéshullámmal felerősített emissziós fotoakusztikus áramlás) technológiai alkalmazásán nyugszik.
Előzetes endodonciai kezelésben nem részesült
Aszimptomatikus irreverzibilis pulpitis
Szimptomatikus irreverzibilis pulpitis
Aszimptomatikus periodontitis periapicalis
Szimptomatikus periodontitis periapicalis
Előzetes endodonciai kezelésben részesült
Az endodonciai kezelések során különböző átöblítőszereket alkalmazunk a baktériumok elpusztítására, a szerves anyagok feloldására (fogbélmaradványok, kollagénrostok), kelátképzésre, valamint a szervetlen anyagok eltávolítására (kalcifikálódott szövetek és dentintörmelék). A megmunkálást követően gyökércsatornák falán megtalálható smear layer szerves és szervetlen összetevőket is tartalmaz. Ugyanakkor fontos kijelenteni, hogy jelenleg még nem ismert az az ideális átöblítőszer, amely az átöblítőszerekkel szemben támasztott összes követelménynek megfelel, ezért egy optimális átöblítés protokollban a különböző hatású anyagok egymást megfelelő sorrendben követő váltott alkalmazása szerepel. Az átöblítést a kezelés teljes folyamata során alkalmazzuk (a tágítás elején, a fertőtlenítés során, és a végleges gyökértömés behelyezése előtt). A hozzáférési nyílás kialakítását követően a tényleges gyökérkezelést a fogbélkamra és a gyökércsatorna-rendszer antibakteriális és szövetoldó hatással rendelkező átöblítőszerrel történő átöblítésével kezdjük.
Nátrium-hipoklorit
A nátrium-hipoklorit (NaOCl, 1–6%) számít jelenleg az endodonciában alkalmazott fő átöblítőszernek. Ez elsősorban a kifejezett baktericid és az erőteljes pulpa oldó hatásának köszönhető. A magasabb koncentrációval rendelkező NaOCl rövidebb idő alatt képes a baktériumszámot csökkenteni, de a koncentráció növelésével nő a sűrűsége és ezzel arányosan csökken a lubrikáló hatása. Az NaOCl már régóta arany standardnak számít az endodonciában. A gyökérkezelés teljes spektrumában, a trepanálástól kezdve a végleges gyökértömés behelyezéséig a gyökérkezelés minden fázisában alkalmazzák. Ugyanakkor a használata veszélyekkel is jár. Ha túl nagy nyomással fecskendezzük a gyökércsatornákba, akkor a gyökércsúcson átjutva a periapikális térbe kerülhet, ahol szöveti nekrózist okozhat. A szövődmények súlyossága a koncentráció növelésével arányosan növekszik.
EDTA
Aszimptomatikus periodontitis periapicalis
Aszimptomatikus periodontitis periapicalis
1. táblázat: A pathológiás endodonciai elváltozások klasszifikációja.
Az etilén-diamin-tetraecetsav (ethylene-diaminetetraacetic acid; EDTA, 15–17%) egy a gyökérkezelések során gyakran alkalmazott kelátképző szer. Az NaOCl-lel felváltva szokták alkalmazni összeszűkült csatornák feltágítása, valamint a gyökérkezelés befejezése előtt. Az EDTA képes a gyökércsatornákban képződött dentinforgács, valamint a csatornafalakon lévő smear layer eltávolítására. Az EDTA enyhén irritálja a vitális szöveteket, de a gyökércsúcson való túljutása nem jár szöveti nekrózis kialakulásával.
Kemomechanikai aktiváció Pozitív nyomású rendszer Negatív nyomású rendszer
Xp-endo Finisher
Self-adjusting file
Manuális agitáció
Szonikus aktiváció
Multiszonikus aktiváció
Ultraszonikus aktiváció
Lézeres aktiváció (PIPS*, SWEEPS**)
2. táblázat: Átöblítőszer aktivációs módszerek.
EndoVac
*PIPS: photon-induced photoacoustic streamig; foton aktivált fotoakusztikus áramlás; **SWEEPS: shock wave enhanced emission photoacoustic streaming; lökéshullámmal felerősített emissziós fotoakusztikus áramlás
Klórhexidin
A klórhexidin (CHX; 2%) jó antibakteriális tulajdonságokkal rendelkezik, de nem képes a szerves anyagok feloldására. Ebből következik, hogy a használatát csak a végső fertőtlenítés során javasoljuk. Ez azért is lehet különösen előnyös, mivel magas szubsztantivitással rendelkezik, amely lehetővé teszi a reziduális bakteriális flóra elleni hatásának kibontakozását. Fontos, hogy a CHX és az NaOCl használata között semleges hatású átöblítőszert (desztillált víz, fiziológiás sóoldat) használjunk, mivel a két különböző oldat találkozásakor toxikus precipitátum képződik, amely a szövetkárosító hatása mellett a fogak belső elszíneződését is okozhatják. Mivel nem rendelkezik szövetoldó hatással, így a periapikális térbe jutva sem okoz kifejezett károsodást.
További átöblítőszerek
Az előbbieken kívül más átöblítőszereket is használnak az endodonciai ellátás során. Ezek közül a hidrogén-peroxidot, a citromsavat, az ózonnal dúsított vizet emelnénk ki. Ezek közül egyik sem rendelkezik az NaOCl és az EDTA fentiekben ismertetett előnyös tulajdonságaival. Napjainkban különböző keverékek hatékonyságát vizsgálják (pl.: EDTA, Cetavlon doxycyclin, citromsav, és detergens kombinációja), amelyek több specifikus hatású anyagot tartalmaznak (felületaktív anyagok, antibiotikumok). Ezek jó hatékonysággal és széles terápiás spektrummal rendelkezhetnek. Szintén ígéretes eredményeket láthatunk a nanorészecskék használatával.
Átöblítőszer aktiváló módszerek
A gyökércsatorna megmunkálása kezdetén és a feltágítás során az oldalukon vagy a végükön nyitott átöblítőkanülökkel ellátott fecskendők segítségével juttatjuk be az átöblítőszereket a gyökércsatornákba. Ez a technika azonban csak a csatornák középső harmadáig képes a gyökércsatornák hatékony átöblítésére. Ennek megfelelően az endodonciai kezelések során mindig figyelembe kell venni, hogy a passzív átöblítés csupán korlátozott mértékben alkalmas a gyökércsatorna-rendszer egészének fertőtlenítésére. Ennek megfelelően a feltágítás befejezését követően, a végső átöblítés során mindig javasolt az átöblítőszerek aktiválása, vagy agitációja (2. táblázat). Ezzel tudjuk a csatornafalak és a teljes gyökércsatorna-rendszer megfelelő fertőtlenítését biztosítani. Több különböző módszer is rendelkezésünkre áll az átöblítőszerek aktivációjára. Ezek közül néhány az átöblítőszerek melegítésével, néhány az
agitációjával, míg mások pozitív vagy negatív nyomás alkalmazásával próbálják az átöblítés hatékonyságát növelni.
Melegítés
Pásztázó elektronmikroszkópos felvételek segítségével igazolták, hogy a gyökércsatornán belül 180 oC-ra melegített NaOCl hatékonyabban távolította el a csatornákban lévő dentintörmeléket és a csatornafalakon lévő smear layert, mint a szájüregen kívül 50 oC-ra melegített és ezt követően a gyökércsatornába fecskendezett NaOCl. Más tanulmányok pedig azt írták, hogy az 1%-os 60°-ra melegített NaOCl hatékonyabb volt, mint az 5,25%-os szobahőmérsékletű (20 °C) NaOCl. Az alacsonyabb koncentrációval rendelkező, de magasabb hőfokra melegített NaOCl alkalmazása több előnnyel is járhat. Ugyanazt a fertőtlenítő hatást tudjuk elérni kisebb szöveti toxicitás mellett, mintha egy szobahőmérsékletű magasabb koncentrációval rendelkező NaOCl oldatot alkalmaznánk.
„Agitáció”
Az átöblítőszerek agitációja révén magasabb szövetoldó hatást tudtak elérni, mint az átöblítőszerek melegítésével. Sőt, ha folyamatos agitációt alkalmaztak, akkor a szövetoldó hatás sokkal gyorsabban ment végbe. De Gregorio és mtsai. különböző agitációs technikák hatékonyságát hasonlította össze. A vizsgálatuk során azt találták, hogy a negatív apikális nyomás alkalmazása esetén az átöblítőszer kisebb mélységben penetrált a laterális csatornákba, mint a passzív ultrahangos aktiváció esetében. Mindezek mellett célszerűnek látszik a különböző aktivációs és agitációs technikák kombinálása a még nagyobb hatékonyság elérése érdekében. Pl.: felmelegített NaOCl-t egy szabadon választott agitációs eljárással együtt alkalmazni.
Lézerrel aktivált irrigáció (SWEEPS)
A lézerrel aktivált irrigáció és a SWEEPS technológia működését és tudományos hátterét már egy korábban megjelent cikkben ismertettük (roots; 4/2019), ezért most ezekre külön nem térünk ki. A SWEEPS technológia egyik legnagyobb előnye a többi aktivációs eljárással szemben, hogy rendkívül hatékonyan és rendkívüli mélységben képes az átöblítőszerek aktiválására. Más módszerekhez képest az aktiválás nem korlátozódik az aktivációt végző hegy közelében lévő folyadékmennyiségre – mint azt az ultrahangos aktiváció esetében megfigyelhetjük –, hanem a teljes gyökércsatorna-rendszerben lévő folyadékra kifejti a hatását. Ennek megfelelően a SWEEPS technológia alkalmazása esetén elég a lézer hegyét az átöblítőszerrel feltöltött
1. ábra: A bal felső oldalsó kismetszőfogról (12) készült periapikális felvételen jelentős méretű radiolucens felritkulás látható. A jelenleg panaszokat nem okozó fogat an ISO 25/.06 TF Adaptive (Kerr Dental) gépi gyökérkezelő tűvel tágítottuk fel.
2. ábra: A gyökértömést MTA-val készítettük el (ENDOSEAL MTA, Maruchi). A felvételen jól látható, hogy a gyökértömő anyag az apikális ramifikációt is teljesen kitöltötte. Ez az apikális terület hatékony és alapos tisztításának volt köszönhető. A végleges gyökértömés elkészítését követően 12 hónappal a gyulladásos lézió szinte teljes mértékben eltűnt.
3. ábra: A bal alsó szemfogról (33) készült periapikális felvétel. A klinikai vizsgálat során a bal alsó második kismetsző és a bal alsó szemfog között fistulanyílást észleltünk. A CBCT-n és a röntgenfelvételen a szemfog gyökerének disztális oldala felé jobban kiterjedő periapikális felritkulás volt észlelhető. A fogat 20/.07v ProTaper Gold (F1; Dentsply Sirona).gépi gyökérkezelő tűvel tágítottuk.
4. ábra: A gyökértömést folyékony sealerrel és egy guttapercha mesterpoénnal készítettük el. (AH Plus and Thermafil, Dentsply Sirona). A 6 hónappal később készített kontroll röntgenfelvételen az oldalcsatornák gyökértömő anyaggal való feltöltését, valamint a gyógyulási folyamat előrehaladását figyelhettük meg.
fogbélkamrába helyezni és onnan a teljes gyökércsatorna-rendszerben ki tudja fejteni a hatását. Ez hatalmas különbséget jelent a többi technikához képest, ahol az aktiváló hegyet minden egyes gyökércsatornában le kell vezetni az apikális harmadba. Sőt mivel elég a pulpakamrába helyezni, ezért a gyökércsatornák mechanikai feltágítása előtt is hatékonyan tudjuk használni. Ennek a módszernek az az előnye, hogy már a gyökérkezelés kezdetén jelentős mértékben le tudjuk csökkenteni a bakteriális csíraszámot, így egyre kevesebb baktériumot juttatunk a gyökércsatorna mélyére, ahogy a gyökérkezelő tűinkkel egyre mélyebbre jutunk. A SWEEPS hatékonyságát két faktor együttes fennállása okozza: Az átöblítőszerek agitációja révén fokozódik a kémiai hatásuk (növekszik a szövetoldó és baktericid hatásuk), valamint fokozza az átöblítőszerek csatornán belüli
5. ábra: A SWEEPS-el történő aktiváció előtt fontos a megfelelő izoláció felhelyezése. A kofferdam kapocs biztosabb rögzítését folyékony kofferdám felhelyezésével biztosítottuk. A hagyományos elveknek megfelelően kialakított hozzáférési nyílást nagy nagyítás mellett (x 4,5–x 6,0) gömbfúróval alakítottuk ki.
áramlását és ezáltal fokozottabb mechanikai tisztítóhatás és törmelékeltávolító hatás érhető el velük.
Tudományos vizsgálatok igazolták, hogy a duál módban alkalmazott SWEEPS aktiváció hatékonyabb az egyszeres impulzussal (single pulse modality) alkalmazott SSP aktivációnál (super-short pulse; PIPS, photon-induced photoacoustic streamig; foton aktivált fotoakusztikus áramlás). A duál módban alkalmazott SWEEPS esetében a második lézeres impulzus által kiváltott második buborék hirtelen expanziója további nyomást fejt ki az első buborékra, amely a gyors összeomlásához vezet. Ezen folyamat során pedig egy rendkívül erőteljes lökéshullám indul meg az átöblítőszerben, amely egészen a kis átmérőjű laterális csatornákba is bejut. Ezen felül a lézeres aktiváció miatt a teljes gyökércsatornahosszon belül természetes módon kialakuló másodlagos buborékok összeomlása során létrejövő kavitációs hatás miatt további lökéshullámok is megjelennek. A másodlagos kavitációs buborékok a gyökércsatornafalakhoz közel alakulnak ki és omlanak össze, amivel vortexes áramlást okoznak és hatékonyan távolítják el a szövettörmeléket. Ezen felül a már megmunkált és a még megmunkálatlan csatornaszakaszokról is effektíven távolítja el a smear layert és a biofilmet. A gyökércsatornákban lévő szűkületek, görbületek, oldalcsatornák és ramifikációk sem jelentenek akadályt a SWEEPS technológia számára. Ez a módszer rendkívül hatékonyan tisztítja és fertőtleníti a gyökércsatornákat (1–4. ábra). A teljes gyökércsatornahosszon megfigyelhető nyomásemelkedés egyértelműen növeli az átöblítőszerek csatornafalakba történő penetrációjának a mélységét.
Első lépésként a páciens ruhájának védelmét javasoljuk egy nagyobb vízhatlan előke felhelyezésével. Ezt követően
minden esetben helyi érzéstelenítő alkalmazása következik (akár panaszos, akár panaszmentes, akár élő, akár elhalt fogról van szó), annak érdekében, hogy a nyomásfokozódáskor esetlegesen érezhető kellemetlen érzések ne zavarják meg a páciensek nyugalmát. A zsibbadásérzés megjelenését követően abszolút izolálást végzünk kofferdám felhelyezésével. A kapcsot folyékony kofferdám segítségével rögzítjük, hogy biztosak legyünk az izolálás stabilitásában (5. ábra). Amenynyiben a kezelendő fogban szuvasság, szekunder káriesz vagy nem megfelelően funkcionáló tömés található, akkor ezeket előzetesen mind el kell távolítani és egy használható endodonciai csonkot kell felépíteni. Erre azért van szükség, hogy megakadályozzuk a szivárgást és a gyökércsatorna-rendszer újrafertőződését. Csupán megfelelő széli zárás esetén lehetünk biztosak abban, hogy a lézeres aktiváció során nem jut ki az átöblítőszer a szájüregbe.
Hozzáférési nyílás kialakítása
A hozzáférési nyílást egy kis átmérőjű gyémántfúróval alakítjuk ki nagy nagyítás mellett (x 4,5–x 6,0). A hagyományos elvek szerint történő hozzáférési nyílás kialakítását javasoljuk (a fog közepén a pulpakamra felett, minden csatornabemenetre közvetlen rálátással) (5. ábra). Már több tanulmányban is leírták, hogy az ultrakonzervatív bemenetkialakítás („ninja access”) nem jár kifejezett előnyökkel. Sem a fogtöréssel szembeni ellenálló képességének, sem az eredeti csatornalefutás megőrzését nem segíti elő. Ha X-SWEEPS módban használjuk a lézerberendezést, akkor különösen ajánlott a hagyományos hozzáférési nyíláskialakítás. Cikkekben részletesen ki fogjuk fejteni a standard méretű hozzáférési nyílások esetén alkalmazandó lézerparaméterek meghatározás mögött álló tudományos hátteret. Teljesen mindegy, hogy mi a kiindulási diagnózis, mindig ugyanannak az alapelvnek az alkalmazására törekszünk. A célunk a gyökércsatorna-lefutás megőrzése, a lehető legkevesebb saját foganyag eltávolítása és a lehető legjobb fertőtlenítő- és tisztítóhatás elérése. A gyökércsatorna-rendszer fertőtlenítése során a célunk a SWEEPS technológia alkalmazásában rejlő terápiás előnyük lehető legnagyobb mértékben történő kihasználása. A szimptomatikus vagy az aszimptomatikus pulpitis és a periodontitis periapicalis acuta kezelése során mutatkozó főbb különbség a kezelés elején alkalmazott SWEEPS-szel történő NaOCl aktiválással járó irrigáció fázis hosszában van. Az újrakezelések során is megfigyelhetők apróbb különbségek az iniciális fázisban alkalmazott lézer teljesítményében. Ennek az oka a régi gyökértömés eltávolításában keresendő.
Aszimptomatikus és szimptomatikus irreverzibilis pulpitis Irreverzibilis pulpitis esetében a fogbélben visszafordíthatatlan gyulladás alakult ki, amely akut tünetekkel is járhat, de tünetmentes is lehet. A páciens életkora, illetve a kiindulási röntgenfelvétel alapján következtethetünk a gyökércsatorna fejlődésének befejezettségére. Nyitott gyökércsúccsal rendelkező fogak esetében a SWEEPS technológia hagyományos energiaszinttel történő alkalmazása kontraindikáltnak számít. Ezekben az esetekben csökkenteni kell a lézer teljesítményét és sokkal óvatosabban kell az átöblítőszerek aktivációját elvégezni. A fogbélkamra megnyitását követően erőteljes vérzést tapasztalhatunk. Ez gyulladt szövetek jelenlétére utalhat. Ezekben az esetekben együléses gyökérkezelések elvégzését
6. ábra: A hozzáférési nyílás kialakítását követően a pulpakamrát NaOCl-lel töltöttük fel, majd a fogbélkamrába helyezett SWEEPS heggyel aktiváltuk. A kis átmérőjű kézi gyökérkezelő tűt lubrikáló hatású zselébe mártottuk, majd így vezettük le a gyökércsúcsig. Ennek az volt a célja, hogy a tű levezetése során elkerüljük a gyökércsatorna eltömeszelődését. (A képeket dr. Giovanni Olivi bocsátotta rendelkezésünkre.)
ajánljuk. A gyökérkezelés megkezdéséhez először NaOCL-es átöblítést végzünk, amelyet Er:YAG lézer segítségével aktiválunk (2,940 nm; LightWalker AT, Fotona). Az aktiválást duál pulzus módban (25 μs) Auto-SWEEPS funkcióban végezzük 30–40 másodpercen keresztül. Az aktiválást követően NaOCl átöblítés következik. Ekkor célszerű 1-2 percig várni, hogy az NaOCl-nek legyen elég ideje kifejteni a hatását és több gyulladt szövetet tudjon feloldani. Az aktiválás során egy lapos vagy lekerekített hegyű SWEEPS fejet használunk (400 μ). A fogbél gyulladtságának mértéke esetenként eltérő lehet, de egyes esetekben már nekrotikus szövetekkel is találkozhatunk. Ilyenkor érdemes végiggondolni, hogy a még gyökércsatornában lévő fogbél képes megakadályozni az átöblítőszer periapikális térbe való kerülését, ezért a teljes teljesítmény mellett (20 mJ, 15 Hz, 0,6 W) végzett Auto-SWEEPS aktiválást javasoljuk. Ezt egészen a fogbél majdnem teljes mértékű eltávolításáig végezzük, amelyet a fogbélkamrából származó vérzés intenzitásának csökkenése jelez. A kezelendő fog anatómiai jellemzői és a fogbél állapotának figyelembevételével az iniciális átöblítőciklust az egygyökerű fogak esetében kétszer-háromszor, míg a többgyökerű fogak esetében háromszor-négyszer célszerű megismételni.
A kezdeti átöblítőfázis jelentős mértékben csökkenti a gyökércsatorna-rendszerben lévő baktériumok számát. A kezdeti fázis befejezését követően célszerű a gyökércsatorna-bemeneteket nagy nagyítás mellett (x 6,0–x 10,0) egyesével lokalizálni. Amennyiben a gyökércsatorna-bemenetek nem láthatóak, akkor ultrahangos eszközök segítségével óvatosan meg kell kezdeni az azokat esetlegesen takaró kalcifikálódott részek eltávolítását. A bemenetek általában a pulpakamra sarkaiban, a fogbélkamra aljának és oldalfalainak találkozása közelében, valamint a gyökerek fejlődési vonalainak találkozása mellett helyezkednek el. A bemenetek feltágítása és a koronai harmad megmunkálása révén jobb hozzáférhetőséget és közvetlen rálátást érhetünk el. Ezt követően megpróbáljuk szondázni a gyökércsatornákat. Ehhez kézi, vagy kifejezetten erre a célra kifejlesztett gépi eszközöket használhatunk. A célunk legalább 3-4 mm-nyire megközelíteni a gyökércsúcsot, de ezen kézi-, vagy gépi eszkö-
7. ábra: A gyökércsúcs túltágításának elkerülése érdekében jelen cikk szerzői a gyökércsatorna teljes munkahossznál 1 mm-rel rövidebb mélységben való feltágítását javasolják (munkahossz- 1 mm).
8. ábra: Az egyes tágítási lépések között egy kis átmérőjű eszközzel (ISO 06 or 08) célszerű rekapitulálni a gyökereket (munkahossz+1 mm). Ennek az a célja, hogy megakadályozzuk dentinforgácsból álló dugó képződését. A gyökércsatorna utolsó 1 mm-es szakaszát csupán a SWEEPS-szel aktivált átöblítőszerekkel fertőtlenítjük ki. (A képeket dr. Giovanni Olivi bocsátotta rendelkezésünkre.)
zökkel végzett feltágítás során szövettörmelék keletkezik, amelyet Auto-SWEEPS módban aktivált NaOCl segítségével eltávolítunk. Harminc-negyven másodperces aktiválást követően 30 másodperces szünetet tartunk. Ekkor javasolt egy EDTA zselébe mártott kis átmérőjű kézi műszer segítségével (ISO 06–10) eljutni a teljes munkahossz végére. Az EDTA-ra azért van szükség, hogy a tű könnyen lejusson és elkerülhető legyen a gyökércsúcsi nyílás eltömeszelődése. Fontos hangsúlyozni, hogy ha eddig megfelelően jártunk el, akkor ebben a fázisban már a fogbél nagy része feloldásra és eltávolításra került. Ennek köszönhetően minimális az esélye, hogy fertőzött szövetmaradványokat juttatunk le a gyökércsatorna mélyére. Ugyanez igaz a gyökércsatorna-rendszerben található baktériumokra. Ha helyesen alkalmaztuk a fent ismertetett protokollt, akkor a baktériumok száma szintén jelentős mértékben csökkent, így elhanyagolható a bakteriális fertőzés periapikális térbe való kerülésének esélye. A munkahosszt elektromos apexlokátor és röntgen kontrollfelvételek segítségével ellenőrizzük.
A gyökércsatornák feltágítása során több különböző módszert is alkalmazhatunk. A feltágítást végezhetjük a teljes munkahosszon, vagy 1 mm-rel rövidebb mélységben
is. Ha rövidebb szakaszt munkálunk meg, akkor nagyobb biztonsággal elkerülhetjük a foramen apicale túltágítását. A gyökértömő anyag túljutásának leggyakoribb oka a fiziológiás konstrikció megszüntetése (7. ábra). Ezt követően megkezdhetjük a gyökércsatornák minimálinvazív módon történő feltágítását. Erre azért van lehetőségünk, mert a SWEEPS technológia alkalmazása nem igényli a lézer hegyének apikális harmadba való levezetését. Ennek megfelelően nincs feltétlenül szükség a csatornák nagy átmérőre való feltágítására. A konzervatív feltágítás során elegendő a 20/.06 vagy 25/.06 méret elérése. Ezek a paraméterek már lehetővé teszik a gyökércsatornák hermetikus zárását. A tervezett mérés eléréséhez szükséges gyökércsatorna-tágítók alkalmazás során rendszeres NaOCl-es átöblítést végzünk, amelyet Auto-SWEEPS módban aktiválunk. Az aktivációk után egy kis átmérőjű (ISO 06 vagy 08) eszközzel a gyökércsatornákat rekapituláljuk. Erre azért van szükség, hogy megakadályozzuk a foramen apicale dentintörmelékkel való eltömeszelődését és biztosítsuk az átöblítőszer gyökércsatorna-rendszeren belül való szabad terjedését (8. ábra).
Aszimptomatikus és szimptomatikus periodontitis periapikalis
A krónikus periapikális folyamatok éveken keresztül fennállhatnak, úgy, hogy közben nem okoznak tüneteket. Ezek diagnosztizálása általában a kontrollvizsgálatok során rutinszerűen végzett röntgenfelvételek segítségével történik, ahol accidentális leletként mutatkoznak meg. Az elváltozás fennállására utaló radiológiai jelek a gyökérhártyarés kiszélesedésétől egészen a jelentős nagyságú periapikális felritkulásokig terjedhetnek. Amennyiben szimptomatikus elváltozással van dolgunk, úgy a páciensek tompa vagy intermittáló fájdalomról, érintésre fájdalmas ínyről vagy az akut fellángolások esetén kifejezett fájdalmakról számolhatnak be. Ezenfelül a fognak megfelelően kialakulhat duzzanat, vagy az áthajlás is kitöltött lehet, esetlegesen fistula nyílás is megjelenhet a közelben, illetve a fognál kopogtatási érzékenységet is észlelhetünk. Ezek a fogak általában már komolyabb fogászati kezelésben részesültek. Gyakran teljes borító koronákkal vagy mély tömésekkel vannak ellátva. A széli zárás mellett szekunder káriesz is jelen lehet, de primer kárieszes elváltozásokkal is találkozhatunk. Ezekben az esetekben a szuvasság a fogbélkamrát is elérheti. Az ellátási protokoll iniciális fázisa itt sem különbözik az eddig leírtaktól. Ezekben a helyzetekben is először a szuvas léziók eltávolítására és endodonciai csonkfelépítésre van szükség. A hozzáférési nyílás kialakítását követően általában azt észlelhetjük, hogy a fogbélkamrában és a gyökércsatornákban sem találunk szöveteket. A nagyőrlő fogak esetében különbségeket észlelhetünk az egyes gyökércsatornák állapota között. Egyesek teljesen nekrotikusak lehetnek, míg ugyanazon fogon belül egy másik csatornából kismértékű vérzést tapasztalhatunk. Ha a páciens egy már kialakult arcduzzanattal, vagy tályoggal érkezik, akkor a trepanálást követően genny is ürülhet a csatornákból. A trepanálást követően fiziológiás sóoldattal történő átöblítést végzünk, amelyet Er:YAG lézerkészülékkel (2,940 nm; LightWalker AT) agitálunk. Az agitálást 30–40 másodpercen keresztül duál pulzus üzemmódban alkalmazott (25 μs) Auto-SWEEPS funkcióval (20 mJ,15 Hz) végezzük. Ez az előzetes, fizi-
ológiás sóoldattal végzett átöblítés a szennyeződések eltávolításán és a baktériumok számának csökkentésén kívül segít az apikális terület nyomással szembeni ellenálló képességének az ellenőrzésében. A krónikus periapikális gyulladás következtében a foramen apicale mérete megnőhet, így az átöblítőszer nagyobb esélylyel kerülhet a periapikális térbe. Ez különösen igaz lehet a nagyobb átmérővel rendelkező foramen apicale-k esetében (ISO 40-50). Az NaOCl-t alacsony energiaszint mellett aktiváljuk (Auto-SWEEPS, 10mJ, 15Hz, 30 másodpercen keresztül). Ennek a fázisnak a célja a gyökércsatorna fertőtlenítésének és síkosításának megkezdése. Ezután egy kis átmérőjű kézi gyökérkezelő tűvel (ISO 10) teszteljük a csatornák átjárhatóságát, valamint megpróbáljuk meghatározni a munkahosszot. A csatornák átjárhatóságának biztosítása és a teljes munkahossz elérését követően újra aktiváljuk az NaOCl-t. Az alkalmazott energiaszint csökkentésével (20 mJ-ról 15 vagy 10 mJ-ra) az apikális területen kialakuló nyomás nagysága is csökken. Ugyanakkor a duál pulzus üzemmódban alkalmazott Auto-SWEEPS aktiváció esetén 20 mJ és 10 mJ energiaszint között szinte állandó áramlási értékekkel találkozhatunk. Ez sokkal biztonságosabb, mint az egyszeres impulzussal (single pulse modality) alkalmazott SSP aktiváció.
9. ábra: A panaszokat okozó bal felső második kisőrlőfog gyökércsúcsa körül periapikális felritkulás volt megfigyelhető. A bukkális és palatinális csatornát egyaránt 25/.08v ProTaper Gold (F2) gépi gyökérkezelő tűvel tágítottuk munkahossznál 4 mm-rel rövidebb mélységig. Ezt követően egy #10-es eszközzel munkahossznál 2 mm-rel rövidebb mélységig tágítottunk.
10. ábra: A gyökércsatornában lévő kalcifikálódott szövetek a kezdetben megakadályozták a foramen apicale elérését, ezért 15%-os EDTA oldat teljes energiaszint mellett alkalmazott Auto-SWEEPS (40mJ, 15 Hz) aktivációját végeztük. Ez az eljárás képes volt az elzáródás eltávolítására, és a csatornaszakasz végének fertőtlenítésére, így a gyökércsatorna utolsó 2 mm-es szakasza is tisztításra került. A gyökértömés elkészítése során Thermafil-t és AH Plus sealert alkalmaztunk.
A kisebb átmérőjű lézerhegyek (400 μ) nagyobb hatékonysággal fokozzák a gyökércsatornákon belüli áramlást, valamint a kerek végződésű lézeres hegyek esetében is fokozottabb áramlást figyelhettünk meg a kónikus hegyekkel öszszehasonlítva. Röviden összefoglalva, a nagy átmérőjű foramen apicale-vel rendelkező fogak esetében nagyobb átmérőjű (600 μ) kerek végződésű lézerhegyek (X-Pulse) alkalmazását javasoljuk Auto-SWEEPS funkcióban. Az alkalmazott energiaszint lecsökkentése és a körültekintő hegyválasztás a lézeres technológiával most ismerkedők számára is lehetővé teszik a biztonságos munkavégzést. Ha a foramen apicale mérete meghaladja az ISO 40–50-es nagyságot, akkor más hegyek használatát javasoljuk. Rendelkezésre állnak ISO 40–100 átmérőjű lézeres toldalékok, amelyeket le tudunk vezetni egészen a gyökércsúcsi nyílásig. Ekkor a lézeres hegy végével egyszerűen lezárjuk a foramen apicale-t és így megakadályozzuk az átöblítőszerek periapikális térbe való kerülését. A gyökércsatornákon belül megfigyelhető oldalirányú áramlás ettől függetlenül létrejön.
11. ábra: A panaszokat okozó bal felső első nagyőrlőfog mesialis részén nagy kiterjedésű szuvasság volt észlelhető. Ezen felül a gyökércsúcsnál jelentős méretű periapikális felritkulás volt megfigyelhető.
12. ábra: A bukkális csatornákat 25/.06 ProTaper Next X2 (Dentsply Sirona), a palatinális csatornát pedig 40/.06 X4 gépi gyökérkezelő tűvel tágítottuk fel. A gyökértömés elkészítése során EndoSequence BC Sealer-t (Brasseler) és guttaperchát alkalmaztunk. A két mesiobuccalis csatorna az apikális harmadban egyesül és egy nagyobb átmérőjű közös csatornaként folytatódik tovább.
13. ábra: A három hónappal később készített kontroll röntgenfelvételen kiváló progressziójú gyógyulási tendencia volt megfigyelhető.
Néhány esetben kalcifikálódott területek és szűkületek akadályozzák a gyökércsatorna teljes munkahosszon való szondázását (9–10. ábra). Ezek az akadályok tercier dentinképződés következtében jönnek létre. A többgyökerű fogak
esetében egyes csatornák átjárhatóak lehetnek, ilyenkor ezek megmunkálását a szokásos protokoll szerint végezzük (11–13. ábra), és a szűkült csatornák ellátását ezt követően kezdjük meg. A kalcifikálódott csatornákat EDTA oldattal öblítjük át, amelyet teljes energiaszint mellett alkalmazott Auto-SWEEPS technikával aktiválunk (40 mJ, 15Hz). (14–15. ábra). A nagyobb nyomás elérése érdekében ilyenkor egyszeres pulzusüzemmódot (USP, 25 μs) is használhatunk. Fontos kihangsúlyozni, hogy ha a többi csatornát már nagyobb méretre tágítottuk és csupán a kalcifikálódott csatornák ellátása van hátra, akkor ez a nagy energiaszint mellett történő aktiváció teljesen biztonságosnak számít. Ebben az esetben az EDTA alkalmazásának a célja a csatornafali dentin puhítása és kelátképzés. Néhány esetben egy rövid, rigid ultrahangos fej alkalmazására is szükség van a koronális harmadban lévő kalcifikálódott szövetek eltávolításához. A
14. ábra: A jobb alsó második nagyőrlő fog disztális részén nagy kiterjedésű szuvasság, a gyökércsúcs körül pedig periapikális felritkulás volt megfigyelhető. Az alsó nagyőrlőfog klasszikus megjelenésű C alakú csatornákkal rendelkezett, amelyeket ISO 25/.06 TF Adaptive gépi gyökérkezelő tűkkel tágítottunk.
15. ábra: A fogba fecskendezett 4%-os NaOCl és 15%-os EDTA oldat Auto-SWEEPS (20mJ, 15 Hz) aktivációjának köszönhetően képesek voltunk a gyökércsatorna-rendszerben lévő törmelék eltávolítására és a terület fertőtlenítésére. Ennek köszönhetően a sealer (EndoREZ, Ultradent) eljutott a mechanikai megmunkálás során el nem érhető helyekre és megfelelő módon kitöltötte a gyökereket (5 hónapos kontroll röntgen).
középső és apikális harmadban lévő szűkületeken való átjutást EDTA gélbe mártott acéleszközök segítségével célszerű megkísérelni.
Már a végső átöblítési protokoll elvégzése előtt, a gyökércsatornák mechanikai feltágítása során, is végeztünk átöblítéseket. A többszörös SWEEPS aktiváció során a gyökércsatorna-rendszer nagy része már tisztításra és fertőtlenítésre került. Ugyanakkor még további vizsgálatok szükségesek a SWEEPS-szel történő aktiváció hatékonyságának és tisztító hatásának pontosabb meghatározására. Több tanulmányban
16. ábra: Végső SWEEPS-szel aktivált átöblítési protokoll: Először 17%-os EDTA oldatot két 30 másodperces ciklusban Auto-SWEEPS-szel aktiváljuk. A ciklusok között 30 másodperces szünetet tartunk, majd a teljes gyökércsatorna-rendszert desztillált vízzel átöblítjük. Ezt szintén 30 másodpercen keresztül SWEEPS-szel aktiváljuk, majd a csatornákat 5%-os NaOCl oldattal töltjük fel. Ezt USP/SSP módban háromszor 30 másodpercig aktiváljuk. Az egyes ciklusok között 30 másodperc szünetet tartunk. Az átöblítési protokoll utolsó lépését a gyökércsatornák desztillált vízzel történő átmosása jelenti.
az SSP üzemmódban alkalmazott PIPS aktivációt hatékonyabbnak találták. A fentiek figyelembevételével az alábbiakban egy evidencia alapú NaOCl-es átöblítésre vonatkozó protokollt ismertetünk: (16. ábra).
Nincs szükség az eddig alkalmazott lézeres toldalék lecserélésére (ugyanaz az átmérő és ugyanaz a lapos vagy radiális forma).
• Először két 30 másodperces ciklus EDTA (15%–17%) átöblítést végzünk, amelyet a fogbélkamrába helyezett SWEEPS heggyel aktiválunk (Auto-SWEEPS funkció, 20mJ, 15Hz). Amennyiben nyitott gyökércsúccsal rendelkező fogat kezelünk, úgy az energiaszintet 15 mJ, de akár 10 mJ-re is csökkenthetjük. Minden egyes aktiválási ciklust követően 30 másodpercet várakozunk, hogy elegendő ideje legyen az oldatnak a csatornafalra való hatását kifejteni. Ebben a fázisban lehetőségünk van a guttapercha mesterpoénok bepróbálására. A kiválasztásukat (méret, hossz, átmérő, koncitás) a feltágítás során alkalmazott paramétereknek megfelelően végezzük. Ekkor ellenőrizzük a pontos illeszkedésüket, a levezethetőségüket, ellenőrizzük az apikális tug-back jelenlétét és ha kell, elvégezzük a szükséges korrekciókat. Ez a folyamat közvetett módon – a kézzel történő dinamikus aktiváció révén – hozzájárul az átöblítőszerek további aktivációjához és ezáltal tovább növeljük a hatékonyságát.
• Ezt követően egy 30 másodperces ciklus fiziológiás sóoldattal történő átöblítés következik. Az átöblítést közvetlenül a lézerberendezésből jövő vízzel is végezhetjük (0/1 lézer spray). Ennek a ciklusnak a gyökércsatornák végső átöblítésre való előkészítése a célja.
• A végső átöblítést három 30 másodperces ciklusban aktivált legalább 5,0%-os NaOCl oldattal végezzük. Az átöblítőszert fecskendő segítségével juttatjuk a gyökércsatorna-rendszerbe, majd a fogbélkamrába helyezett SSP üzemmódban alkalmazott (20 mJ, 15 Hz) lézeres heggyel aktiváljuk. Az egyes aktiválási ciklusok között 30-tól 120
másodperces nyugalmi fázisok következnek. A nyugalmi fázis hosszának megnyújtására akut gyulladások esetén van szükség. Az aktiválás során leadott energiát 15 mJra vagy akár 10 mJ-ra is lecsökkenthetjük, ha csökkenteni akarjuk az átöblítőszer periapikális térbe való kerülésének az esélyét. Ha a gyökércsúcsi nyílás mérete meghaladja az ISO 40–50 átmérőt, akkor célszerű egy a gyökércsúcsi átmérővel megegyező sima felszínű lézeres toldalékot alkalmazni. Ezt a gyökércsatornán végigvezetjük, ezzel lezárva a gyökércsúcsi nyílást. Ezzel a módszerrel meg tudjuk akadályozni, hogy az aktiválás során az átöblítő folyadék a periapikális térbe kerüljön.
• A végleges gyökértömés elkészítése előtt az utolsó átöblítést desztillált vízzel végezzük, amelyet lézerrel aktiválunk. Ezt steril papírpoénokkal kiszárítjuk, majd megkezdjük a végleges gyökértömés behelyezését.
Végleges gyökértömés
A végleges gyökértömést a megszokott módon készítjük el. Ugyanakkor mi folyékony sealer használatát javasoljuk, hogy a mechanikai eszközök számára elérhetetlen területeket is maradéktalanul fel tudjuk tölteni. Ezek azok a régiók, amelyek tisztítását és fertőtlenítését a SWEEPS technológia alkalmazásának köszönhetően tudtuk magas színvonalon megvalósítani. A gyökértömés elkészítéséhez egy mesterpoén és meleg vertikális kompakciós technika használatát javasoljuk. Eddigi tapasztalataink szerint ezzel a kombinációval lehet a gyökércsatorna-rendszert a lehető legteljesebb mértékben feltölteni.
Az alacsony energiaszint mellett duál pulzus üzemmódban alkalmazott Er:YAG lézer SWEEPS funkciójával még nagyobb hatékonyságot tudunk elérni a már így is nagy effektivitással alkalmazható SSP technológiához (PIPS) képest. A hagyományos kemomechanikai megmunkáláshoz képest a lézeres aktiváció előnyei az átöblítőszerek gyökérkezelés korai fázisában történő hatékony aktivációjában rejlik. Ezáltal sokkal hatékonyabbá válik a gyökércsatorna-rendszer tisztítása és fertőtlenítése. A SWEEPS technológia az átöblítőszerekben végighaladó lökéshullámok révén növeli a hatékonyságukat. Emellett ezen technológia alkalmazása esetén nem kell a hagyományos gyökérkezeléseknél megszokott méretre tágítani a gyökércsatornákat, így kevesebb műszert használunk és ezáltal a kezelés időigénye is kevesebb lehet. A SWEEPS technológia lehetővé teszi az átöblítőszerek teljes gyökércsatorna-rendszeren való végigáramlását és azokra a területekre is eljuttatja, amelyek a hagyományos mechanikai megmunkálás során elérhetetlenek lennének. A SWEEPS a hagyományos technikákhoz képeset egyértelműen hatékonyabban tisztítja és fertőtleníti a gyökércsatornákat, és emellett lehetővé teszi a konzervatívabb gyökércsatorna feltágítást, folyékony sealerek és meleg vertikális kompakciós gyökértömési technika alkalmazását. Így a fertőtlenítés hatékonyságának növelése mellett több saját foganyagot tudunk megőrizni.
Forrás: Laser; 2020/2 12-18
INLAY, ONLAY ARANY KERÁMIA ARANY LEMEZ ARANY KOMBINÁLT MUNKA LEMEZ ARANYOZÁS GALVÁN MUNKÁK KESZÍTÉSE ELÉRHETŐSÉG: +36 20 366 10 80 schulzefogtechnika@gmail.com
A dinamikus navigáció ezzel szemben hamarosan forradalmasíthatja mindennapi szükség fúrósablon előállítására. A CBCT adatok alapján megtervezve a fúró vezérelhető, hogy éppen annyi fogszövetet távolítsunk el, amennyi a bemenetalakításhoz tesíthetik a megszerzendő szakértelmet, a körültekintő diagnosztikát és a kezelés öncélú és nem szolgálhatja a közösségi
mindennapi endodonciai gyakorlatunkat. A statikus navigációtól eltérően itt nincs fúró avatarja a tér 3 síkjában követhető a képernyőn, és valós időben 3D-ben bemenetalakításhoz feltétlenül szükséges. Ezen új eszközök azonban nem helyetkezelés megtervezését. A minimálinvazív endodontia mindemellett nem lehet közösségi médiában való szereplést.
Dr. Benyőcs Gergely
A szabadkézi preparációhoz képest bármilyen típusú navigáció nagyobb pontosságot eredményez, különösen nehezített esetekben. A CBCT és a fogászati szkennerek ma már széles körben elérhetők a fogorvosi rendelőkben vagy a praxisfüggetlen szolgáltatásoknál. A sebészi és nem sebészi endodonciai célú fúrósablonok tervezését és 3D-nyomtatását jellemzően a navigált implantátumbehelyezésre specializálódott cégek végzik.
Az alábbi esetbemutatás lépésről lépésre ismerteti egy felső nagymetsző kalcifikált pulpakamra és gyökércsatorna miatt kihívást jelentő gyökérkezelését.
A 3D-nyomtatott statikus guide használata – a megfelelő fúróval és CNC-persellyel – lehetővé tette a kiszámítható kezelést, miközben segített a dentin maximális megőrzésében. Kulcsszavak: navigált endodoncia, 3D-nyomtatott sablon, statikus guide, konzervatív endodoncia, minimálinvazív endodoncia, betegközpontú megközelítés.
A pulpakamra és a gyökércsatorna-rendszer meszesedése (pulp canal calcification – PCC) fogászati traumák következményeként vagy időskorban fordul elő1-3, és általában a másodlagos és harmadlagos dentin képződése miatt alakul ki. Más forrás szerint a fogszabályozási kezelés is kiválthatja vagy felgyorsíthatja a másodlagos dentinképződést.4-5 Habár a PCC a pulpa vitalitását jelzi, ezért gyökérkezelést nem szabad elvégezni, hacsak nincs klinikai és radiográfiai bizonyíték a pulpanekrózisra, hosszú távon a nekrózis általában a PCC-vel rendelkező fogak 33%-át érinti.6 Ezekben az esetekben a hozzáférés és a megmunkálás nagy kihívást jelent, és nagy a hibaarány, különösen a keskenyebb fogaknál.7 Az Endodontusok Amerikai Társasága (American Association of Endodontists) a kalcifikált fogak kezelését „magas nehézségi” fokúnak minősíti.8 A beszűkült gyökércsatorna keresése még nagyítás mellett is túlzott dentineltávolításhoz vezethet, ami veszélyezteti a fog biomechanikai integritását és rontja a hosszú távú prognózist. A digitális fogászat széles körű elterjedése, különösen a 3D-szkennelés és -nyomtatás ma már lehetővé teszi a PCC által érintett fogak ellátásának új megközelítését egy olyan nyomtatott sablon segítségével, amely irányítja a fúrót.10-11 A következő esettanulmány ezt a technikát mutatja be.
A rendelőnkbe referált 48 éves nőbeteg spontán fájdalomról és érzékenységről számolt be a jobb felső középső metszőfogra történő ráharapáskor. A kórtörténetben nem szerepelt trauma, illetve az általános anamnézis sem tárt fel releváns megbetegedést.
A klinikai vizsgálat során a 11-es fog elszíneződése volt látható, és purulens duzzanat a vestibulum területén a fog gyökércsúcsának megfelelően (1. ábra). A palpatio és percussio pozitív választ adott, míg a szenzitivitásvizsgálat negatív lett. A hozott röntgenfelvételen radiolucens lézió volt látható a 11-es fog körül. A fogbélűr kiterjedésének csökkenése, valamint a pulpakamra és a gyökércsatorna meszesedése is megfigyelhető volt.
A diagnózis pulpanekrózis akut periapikális tályoggal.
A szituáció elmagyarázását követően vázoltam a páciensnek a
1. ábra: Pre-op felvételek.
kezelési lehetőségeket, beleértve a nem sebészi gyökérkezelést és a sebészi endodonciai beavatkozás lehetőségét, valamint a fogeltávolítást és implantátumbehelyezést. A kockázatok átbeszélése után a páciens, megértve a lehetőségeket, az orthográd gyökérkezelést választotta. Az eset bonyolultsága miatt 3D-nyomtatott statikus navigációt javasoltam, és mivel 2 nap szükséges a tervezéshez és a nyomtatáshoz, sürgősségi incíziót és drenázst végeztem, valamint fájdalomcsillapítót (Diclofenac 50 mg, TID 3 napig, Novartis Magyarország) rendeltem. Kis térfogatú (5x5) CBCT-felvételt készíttettem (CS8100 3D, Carestream, Onex Corporation, Toronto, Ontario, Kanada), és lenyo-
matot vettem (Aquasil Soft Putty Regular Set, Ultra Plus XLV, Dentsply Sirona, Milford, Egyesült Államok).
A laboratóriumban elkészült mintát beszkennelték (iMetric d104i, Imetric 4D Imaging, Courgenay, Svájc), majd a szkennelési adatokat tartalmazó STL-fájlok és a CBCT-adatokat tartalmazó DICOM-fájlok a CoDiagnostix tervezőszoftverbe (Dental Wings, Chemnitz, Németország) kerültek feltöltésre. A szegmentálás („zajmentesítés”) és az igazítás után egy virtuális fúrási útvonalat hoztunk létre, és ennek megfelelően beállítottuk a virtuális fúrót. A fúrási irányt úgy határoztuk meg, hogy a gyökércsatorna első látható részét érintse (2. ábra).
A 3D-nyomtatással elkészített fúrósablonba (Form 2, Formlabs, Somerville, USA) beillesztették a számítógépes vezérléssel (CNC) tervezett és elkészített egyedi fúróperselyt.
2. ábra: A DICOM és az STL fájlok egyesítése, a fúrási útvonal virtuális meghatározása.
A guide stabilitását először a mintán, majd szájban ellenőriztem, illetve az 1 mm-es pilot fúró (Meisinger pilot implantátum fúró – Hager & Meisinger, Neuss, Németország) dimenzióstabilitását is kontrolláltam (3., 4. ábra). A fúrás kezdőpontját a fúróperselyen keresztül vékony gyémántfúróval jelöltem a zománcon. A jelölőfúró átmérőjének – a persely megóvása érdekében – 1 mm-nél keskenyebbnek kell lennie. Ezután szabad kézzel átfúrtam a zománcot (5. ábra) A dentint ismét a guide segítségével preparáltam (EndoExplorer EX1 – Komet Dental, Lemgo, Németország). A megfelelő hűtés érdekében a fúrást 1-2 mm-enként megszakítottam, a fúrót megtisztítottam és az üreget sóoldattal átöblítettem. A tervezett mélység elérése után a fúróvezetőt eltávolítottam és abszolút izolálást helyeztem fel, melyet folyékony kofferdammal tökéletesítettem (Ultradent, South Jordan, Utah, USA). A gyökércsatornát a fúró hegyéhez képest oldalirányban leltem fel (6-7. ábra)
A gyökérkezelés ezt követően eseménytelenül zajlott. Egy ülésben, 0.08 és 0.10 C-pilot fájlokkal (VDW, München, Németország) történő felderítést követően rozsdamentes acél kézi fájlokkal 25-ös méretig munkáltam meg a csatornát (ReadySteel® FlexoFiles, Dentsply Sirona Endodontics, Ballaigues, Svájc). Az átöblítéshez 5,25%-os nátrium-hipokloritot használtam a megmunkálás során (Chloraxid 5,25% – Cerkamed, Stalowa Wola, Lengyelország), és 17% EDTA-t a végső átöblítés során (EDTA Solution Cerkamed). Az átöblítő szerek között, illetve zárásként fiziológiás sóoldattal öblítettem. A gyökértömést meleg vertikális kondenzációs technikával végeztem el guttapercha
3. ábra: A nyomtatott fúrósablon stabilitásának ellenőrzése a mintán. A fúró dimenzióstabilitása is kontrollálásra került.
4. ábra: A nyomtatott guide in-situ. A szükséges interokkluzális helyigényt a fúrót bepróbálva ellenőriztük.
5. ábra: A bemenetkialakítás kezdőpontját a fúrósablonon keresztül jelöltük meg egy fúró segítségével. A zománc fúrása szabad kézzel jelölés alapján történt.
6. ábra. Fúrás a tervezett mélységig. Piros nyíl: a fúró hegyének helye. Zöld nyíl: a fellelt gyökércsatorna. Ez a pontatlanság egyezik az irodalmi adatokkal.
és AH Plus sealer (Dentsply Sirona Restorative, Konstanz, Németország) felhasználásával (8-10. ábra). Az orificiumot üvegionomer cementtel (Ketac Molar, 3M-ESPE, Seefeld, Német-
7. ábra: A fúró pozíciójának és a fúrásmélységnek az ellenőrzése.
8. ábra: Tűs kontroll (Sirona Heliodent Plus/Sirona Xios XG Supreme, Sirona Dental Systems, Bensheim, Németország)
ország) zártam. A pulpakamrát belső fehérítés céljából 2 hétig fehérítőanyaggal (Opalescence-Endo, Ultradent) töltöttem fel és üvegionomer cementtel fedtem. Újabb két hét várakozást követően üvegszál-erősítésű műgyanta csapot (1.35 mm Glasix, Nordin, Svájc) rögzítettem a fogba self-adhezív univerzális rezin cement segítségével (Rely-X Unicem, 3M-ESPE), és kompozit fedőtömést készítettem (Gradia® Direct, GC, Tokió, Japán).
A páciens panaszai a kezelést követően megszűntek. A 11. és 12. ábrán a hat hónapos, illetve a kétéves kontroll látható.
A modern endodonciai szemlélet a konzervatívabb, kevésbé invazív eljárások és technikák felé irányul, és egyre inkább áthatja a graduális és posztgraduális oktatást is. Ez a filozófia összhangban van az endodonciai kezelés általános céljaival, amely nemcsak az apikális parodontitis megelőzése és/vagy megszüntetése, hanem az egészséges fogszövet hosszú távú, illetve a természetes fogak élethosszig tartó megőrzése is. Ez annál is fontosabb, mert a lakosság élettartama növekszik, és a fogaknak több mint 80 évig kell szerepüket betölteniük.
A különböző fogpótlások, kompozit tömések és a kalcifikáció kihívásokat jelentenek, és olykor ellehetetlenítik a gyökérkezelés
kivitelezését. Ilyen összetett esetekben a navigált endodoncia hasznos segítség lehet általános fogorvosok, sőt még az endodontus szakorvosok számára is. Az elmúlt években számos publikáció igazolta a statikus navigáció megvalósíthatóságát, főleg kalcifikált frontfogak esetében.10,12 A bemutatott technika azért kiemelten érdekes, mert például az alsó metszőfogak esetében, ahol nem vagy csak részben fellelhető gyökércsatorna, a gyökérkezelés során 71%-os volt a hibaarány.7 A navigált endodoncia alapgondolata lehet a megoldás a trepanáció során bekövetkező kudarcok elkerülésére. Az operációs mikroszkóp széles körű elterjedése, a továbbfejlesztett hőkezelt nikkel-titán fájlok, a CBCT, valamint a statikus és dinamikus navigáció alkalmazása tette lehetővé a páciensközpontú ellátást a fent ismertetett esetben. Ennek az az oka, hogy a bemenetkialakítás kezdőpontját, illetve a fúrás mélységét és irányát is pontosan meghatározza a sablon. Elkerülhető a felesleges szöveteltávolítás, pont oda „lyukadunk ki”, ahová szeretnénk. Mindazonáltal figyelmet érdemel, hogy a szakirodalom a fúrás során előforduló pontatlanságokról számol be, ahogy az a 6. és 7. ábrákon is látható. A koronális előtágítás a bemenetkialakítás során különös jelentőséggel bír ennél a technikánál, mérete az észszerűség keretein belül minimalizálható változó kúposságú fájl használatával.
A statikus guide előállítása hasonló a navigált implantátumbehelyezéshez használt fúrósablon esetében megismertekhez. A navigált endodoncia pontossága elfogadhatónak tűnik, és lehetővé teszi a pontos hozzáférés kialakítását a gyökér apikális harmadáig a guide segítségével. Néhány tényezőt azonban figyelembe kell venni statikus navigáció tervezése előtt. Az interokkluzális térnek elegendőnek kell lennie a plusz 10 mm-es fúróhossznak, amelyet a fog síkja felett elhelyezkedő fúrópersely helyzete igényel. Ennek megállapítására a pilot fúrót a páciens szájába helyezve ellenőrizzük a rendelkezésre álló helyet.
A fém restaurátumok szintén problémát okozhatnak az ilyen típusú kezelések tervezése során, mivel az általuk okozott műtermékeket befolyásolhatják a DICOM fájlok pontosságát. Azonban kellő tapasztalat birtokában a szkennelési adatok (az intraorális vagy a minta szkennelésből nyert STL-fájlok) egymásra helyezése segíthet ennek kiküszöbölésében. A statikus guide-ok nem teszik lehetővé nagy sebességű kézidarabok használatát sem. A fogzománc, kerámia-, illetve fémrestaurátumok átfúrásakor a megfelelő hűtés okozhat problémát. Emiatt érdemes a fúrás kezdőpontját a guide fúróperselyén keresztül megjelölni, majd a sablont eltávolítva szabad kézzel preparálni a dentinig. A dentin elérésekor a guide ismét használható a megfelelő fúróval.
9. ábra: A gyökértömés készítése.
A statikus navigáció fő hátránya, hogy akut esetekben nem alkalmazható, hisz a kezelés megkezdése előtt meg kell várni, hogy marással vagy nyomtatással elkészüljön a guide.
A fentieket figyelembe véve látható, hogy a statikus navigáció bizonyos helyzetekben segíthet, de – legalábbis egyelőre – nem mindegyikben. A technika azonban segít minimalizálni a fogászati kezelések során azt a „nyomot”, amelyet a fogon hagyunk. Ez annál is fontosabb, mivel a mai napig nem ismerünk olyan anyagot, amely az egészséges dentin biomechanikai jellemzőivel rendelkezne. Ezért a saját foganyag megőrzése különösen a pericervikális régióban elengedhetetlen, hogy a hosszú távú funkcionális és parafunkcionális terhelésnek való ellenállást biztosítsuk, valamint szükség esetén esetleges további beavatkozások lehetőségét meghagyjuk.
A dinamikus navigáció ezzel szemben hamarosan forradalmasíthatja mindennapi endodonciai gyakorlatunkat. A statikus navigációtól eltérően itt nincs szükség fúrósablon előállítására. A CBCT adatok alapján megtervezve a fúró avatarja a tér 3 síkjában követhető a képernyőn, és valós időben 3D-ben vezérelhető, hogy éppen annyi fogszövetet távolítsunk el, amennyi a bemenetalakításhoz feltétlenül szükséges. Ezen új eszközök azonban nem helyettesíthetik a megszerzendő szakértelmet, a körültekintő diagnosztikát és a kezelés megtervezését. A mini-
1 Nikoui M, Kenny DJ, Barrett EJ. Clinical outcomes for permanent incisor luxations in a pediatric population: III—lateral luxations. Dent Traumatol 2003;19:280-5
2 Andreasen FM, Zhijie Y, Thomsen BL, et al. Occurrence of pulp canal obliteration after luxation injuries in the permanent dentition. Endod Dent Traumatol 1987;3:103-15.
3 Foreman PC, Soames JV. Structure and composition of tubular and non-tubular deposits in root canal systems of human permanent teeth. Int Endod J 1988;21:27-36.
4 Delivanis HP, Sauer GJ. Incidence of canal calcification in the orthodontic patient. Am J Orthod 1982; 82:58-61.
5 Bauss O, Rohling J, Rahman A, et al. The effect of pulp obliteration on pulpal vitality of orthodontically intruded traumatized teeth. J Endod 2008;34:417-20.
6 Oginni AO, Adekoya-Sofowora CA, Kolawole KA. Evaluation of radiographs, clinical signs and symptoms associated with pulp canal obliteration: an aid to treatment decision. Dent Traumatol 2009;25:620–5.
7 Cvek M, Granath L, Lundberg M. Failures and healing in endodontically treated non-vital anterior teeth with post-trau-
málinvazív endodontia mindemellett nem lehet öncélú és nem szolgálhatja a közösségi médiában való szereplést.
A cikk elkészítésében közreműködött: dr. Molnár Bertold (coDiagnostix tervezés) és Mühl Attila (3D nyomtatás).
Cikk eredeti megjelenése: Predictable root canal treatment of calcified maxillary incisor using a 3D-printeddrill guide. International Journal of Oral and Dental Sciences, Volume 4, Issue 2, December 2019.Page 7-12.
matically reduced pulpal lumen. Acta Odontol Scand 1982;40:223-8.
8 American Association of Endodontists. Endodontic case difficulty assessment and referral. Colleagues for excellence. Colleagues for excellence 2005. Available at: https://www.aae.org/ specialty/wp-content/uploads/sites/2/2017/06/casedifficultarticle.pdf. Accessed: September 2019
9 Lang H, Korkmaz Y, Schneider K, et al. Impact of endodontic treatments on the rigidity of the root. J Dent Res 2006;85:364–8.
10 Buchgreitz J, Buchgreitz M, Mortensen D, Bjørndal L. Guided access cavity preparation using cone-beam computed tomography and optical surface scans – an ex vivo study. Int Endod J 2016;49:790-5.
11 Zehnder MS, Connert T, Weiger R, Krastl G, Kühl S. Guided endodontics: accuracy of a novel method for guided access cavity preparation and root canal location. Int Endod J 2016;49:966-72.
12 Connert T, Zehnder MS, Weiger R, Kühl S, Krastl G. Microguided endodontics: accuracy of a miniaturized technique for apically extended access cavity preparation in anterior teeth. J Endod 2017;43:787-790.
Indirekt pulpasapkázás
Indirekt pulpasapkázás esetén minimális invazív, szelektív szuvasodás eltávolítást végezzen, a szuvasodással érintett dentin megtartásával a pulpa fölött
(1) A nemzetközi fogorvosok szakértői testületéből származó eljárás (Állásfoglalás. 2023. szeptember).
(2) A kiterjedt II. osztály proximális falfelépítést igényel. (Mount GJ, Hume WR. Egy új üregosztályozás. Australian Dental Journal. 1998;43(3):153-9)
(3) Lehetséges technika a koronális restaurációval összefüggésben.
Közvetlen pulpa sapkázás (vitális fog)
Első ülés
1
2
3
4
5
6
7
8
9
A pulpa vitalitásának megállapítása
Izolálja a fogat kofferdám lepedővel
A szuvas foganyag eltávolítása
Hiányzó fal(ak) esetén helyezze fel a matricát a fogra
Csillapítsa a vérzést kompresszióval (1-6% NaOCl)
Aktiválja a Biodentine™ XP kapszulát , használja a Biodentine™ Mixert.
A Biodentine pisztolyt helyezze a kavitás aljába, és lassan fecskendezze be a Biodentine™ XP-t, miközben a pisztolyt visszahúzza (Bio-Bulk Fill) (3)
Ügyeljen a széli záródásra, minimális okkluzális formázás/nyomást gyakoroljon a megkötő Biodentine-re
Vegye ki a Biodentine-t az okklúziós érintkezésekből
Direkt pulpasapkázás (vitális fog)
A második kezelés
minimum 2 hét után és maximum 6 hónappal az 1. kezelés után.
1
2
3
4
5
Vizsgálja meg a pulpa vitalitását
A megfelelő mértékben (átlagosan 2 mm) vegyen el a Biodentine-ből
Vigyen fel adhezivet: totál etch vagy önsavazó módon a Biodentine-re és a fogra
Kompozit tömőanyaggal lássa el a fogat
A páciens visszahívása és követése az aktuális szakmai irányelveknek megfelelően
Ha a vérzés 5 percen belül nem csillapodik, további pulpaszövetet kell eltávolítani (részleges vagy teljes pulpotómia).
Ha a páciens utánkövetése nem kivitelezhető, akkor az eljárást 1 ülésben végezze el.
1
2
3
4
Hagyjon 2 mm helyet, várjon legalább 12 percet a kötés elkezdődésére
Vigyen fel önsvazó adhezívet (szelektív savazással vagy önsavazással) a Biodentine-re és a fogszövetre
Kompozit tömőanyaggal lássa el a fogat
A páciens visszahívása és követése az aktuális szakmai ajánlásoknak megfelelően
Dr. Jenner Argueta (Guatemala)
Az eset három év távlatából történő kiértékelése
Az endodonciai kezelések célja, hogy a pácienseket tünetés panaszmentessé tegyék, továbbá a kezelt fogak funkcióképességét és az azokat körülvevő periapikális szövetek egészségét hosszú távon biztosítsák. Néha azonban olyan esetekkel is találkozunk, amikor a fogak keményszöveti károsodása már olyan mértékű, hogy az nem teszi lehetővé a saját természetes fogak megőrzését. Ezekben az esetekben terápiás alternatívaként a koronahosszabbítás, az autogén fogtranszplantáció vagy az implantátumbeültetés elvégzése is felmerülhet. Ezeknek a beavatkozásoknak a célja az okklúzió stabilitásának a fenntartása és a meglévő rágóképesség megőrzésének biztosítása.
Az autogén fogtranszplantáció azt jelenti, hogy a páciens fogívéből eltávolított fogat még ugyanabban az ülésben, ugyanennek a páciensnek a szájüregében lévő, másik friss extractiós sebbe helyezzük. Az átültetést nem csak a meglévő extractiós sebeknek megfelelően végezhetjük, hanem sebészileg kialakított recipiens területeket is felhasználhatunk erre a célra. Az elmúlt évtizedek során ennek a beavatkozásnak a sikeressége folyamatosan javuló tendenciát mutatott, mind a periapikális szövetek gyógyulásának, mind a gyökérfelszívódás bekövetkezésének tekintetében. Az elvégzett vizsgálatok szerint a zárt gyökércsúccsal rendelkező fogak esetében 84%-os, míg a nyitott gyökércsúccsal rendelkező fogak esetében 94%-os sikerarányról beszélhetünk.
1. ábra: Jelentős mértékben destruált koronával rendelkező felső első nagyőrlőfog. A képen látható fogban egy régi amalgámtömés, valamint szekunder caries látható. A fogban gyökértömés található.
Az sikeresség mértékét legnagyobb arányban az átültetésre kerülő fog gyökérfelszínén lévő parodontális rostok regenerációs képessége határozza meg. A gyökérfelszínt borító gyökérhártyát alkotó sejtek túlélőképessége 18 percet meghaladó szájüregen kívül töltött időt követően – jelentős mértékben csökken. Az autogén transzplantáció egy rendkívüli technika, és szenzitív beavatkozásnak számít. A beavatkozást végző orvos kézügyessége és gyakorlati tapasztalata jelentős szerepet játszik a kezelés sikerességének biztosításában.
Az átültetésre kerülő fogak az esetek többségében teljesen ép koronai résszel rendelkeznek. A beavatkozás elvégzése során ezen fogak jelentős részét gyökérkezelni kell. Ilyenkor azonban azt is szem előtt kell tartanunk, hogy a hozzáférési nyílás kialakításához szükséges foganyagelvétel, valamint a gyökérkezelés során végzett mechanikai gyökércsatorna-megmunkálás jelentős mértékben csökkentheti a fogak funkcionális megterheléssel szembeni ellenálló képességét. Ennek megfelelően az utóbbi időben egyre többen a konzervatív endodonciai elveknek megfelelően történő gyökérkezelést javasolják. Ennek célja, hogy a lehető legkevesebb saját foganyag feláldozása mellett, minimál invazív módon történjen a kezelés, és ezáltal a fog hosszú távú megtarthatóságát jelentős mértékben befolyásoló pericervicalis dentint a lehető legnagyobb mértékben megőrizzük. Az elmúlt években számos olyan innováció jelent meg a fogorvostudomány területén, amely lehetővé tette a konzervatív endodonciai kezelések elvégzését. Ezek közül kiemelnénk az alakmemóriával rendelkező (controlled memory) ötvözetekből készült és a ciklikus terheléssel szemben megnövelt ellenálló képességgel rendelkező rugalmas gyökérkezelő tűket, a kezelési terület nagyobb nagyításban történő megfigyelhetőségét lehetővé tevő eszközöket, a bioaktív tulajdonságokkal rendelkező gyökértömő anyagokat, valamint az átöblítő szerek szonikus és ultrahangos aktiválását biztosító eszközöket. Az előbbiekben felsorolt technológiai újítások elengedhetetlenek voltak a konzervatív endodonciai szemlélet kialakulásához szükséges feltételek biztosításához. Ezek mind jelentős mértékben hozzájárulnak a lehető legtöbb saját foganyag megőrzéséhez, és ez különösen fontos a fogak hosszú távú megtarthatósága szempontjából kritikus fognyaki területen elhelyezkedő dentin prezelválása során.
A 16 éves női pácienst a jobb felső első nagyőrlőfogának (1.6) megtarthatóságának megítélése céljából irányították a
2. ábra: A jobb felső nagyőrlő fogról készült periapikális felvétel. A jobb felső bölcsességfogat (1.8) a jobb felső első nagyőrlőfog (1.6) pozíciójába terveztük átültetni.
rendelőnkbe (1. ábra). A pácienst beküldő orvos azt kérte, hogy mindent tegyünk meg a fog megőrzésének érdekében. A kérdéses fogat már korábban gyökérkezelték és gyökértömték. Jelenleg szimptomatikus periapikális periodontitist diagnosztizáltunk. Alapos klinikai vizsgálatot követően sajnálatos módon arra a megállapításra jutottunk, hogy a fog megtartása a továbbiakban nem lehetséges. A páciens, valamint a páciens szüleinek tájékoztatását, majd a beleegyezésük megszerzését követően a jobb felső bölcsességfog (1.8) eltávolítása és a jobb felső első nagyőrlőfog (1.6) pozíciójába történő átültetése mellett döntöttünk (2. ábra). A jobb felső bölcsességfog (1.8) eltávolításának szükségességét az orthodontusunk állapította meg.
A beavatkozás célja az volt, hogy a fogszabályzó kezelés befejezésének eredményeként a páciens stabil, két oldalon kiegyensúlyozott okklúzióval rendelkezzen. Az 1.6-os, és 1.8-as fogak eltávolítását a lehető legatraumatikusabb módon végeztük. Az 1.6-os fog pozíciójának megfelelően kialakult extractiós sebet alacsony fordulatszámon alkalmazott forgóeszközök segítésével némileg módosítottuk, és az alveolus fúrókkal történő korrekcióját követően az eltávolított bölcsességfogat még ugyanebben az ülésben a recipiensterületbe helyeztük (3. ábra). Az átültetett fog stabilizálása érdekében egy rugalmas sín segítségével, a szomszédos
3. ábra: A jobb felső bölcsességfog (1.8) a jobb felső első nagyőrlő pozíciójába került (1.6).
fogakkal összekötöttük. A sínezés során egy nejlonból készült elasztikus monofil anyagot alkalmaztunk (4. ábra). Az átültetést követően 15 nappal a sínt eltávolítottuk. A kontroll során a fog körül fiziológiás lágyszöveteket észleltünk, az átültetett fog stabilnak bizonyult, valamint a páciens is teljes panaszmentességről számolt be (5.a. és 5. bábra)
4. ábra: Az átültetett fogat egy adhezíven rögzülő rugalmas monofil sín segítségével stabilizáltuk.
Az eredeti kezelési terv szerint a fogátültetést követően 3 héttel kezdtük volna meg a transzplantált fog gyökérkezelését, de sajnálatos módon a páciens nem jelent meg a megbeszélt időpontján. Tsukiboshi szerint nem javasolt a gyökér-
5. a-b ábra: Az átültetést követően 15 nappal készült felvétel. Az átültetett fog körül a sín eltávolítása előtt (a) és a sín eltávolítása után (b) is fiziológiás állapotú parodontális szöveteket láttunk. – 6. ábra: Az átültetés után 8 hónappal készült radiológiai felvétel. Az eltávolított bölcsességfog pozíciójának (1.8) megfelelően csontos telődés jelei voltak láthatóak, de az átültetett fognak megfelelően fogbélelhalásra és periapikális elváltozás jelenlétére utaló jeleket észleltünk.
7. a-b. ábra: A gyökérkezelés megkezdése előtt (a) és a hozzáférési nyílás kialakítása után (b) készült szájüregi felvételek.
8. a-c. ábra: A gyökértöméssel ellátott palatinális (a), mesiobuccalis (b) és disztobuccalis (c) gyökércsatorna-bemenetekről készült felvételek.
kezelést az átültetést követő első 2 héten belül megkezdeni. Ennek az az oka, hogy ez idő alatt a gyökérhártya sérülékenyebbnek számít, és az endodonciai kezelések során nagyobb eséllyel okozhatjuk a parodontális rostok további károsodását. Viszont az első 2 hét elteltét követően pedig már kifejezetten javasolja a gyökérkezelés megkezdését, mivel ezzel jelentős mértékben csökkenthetjük a gyulladás miatt bekövetkező gyökérfelszívódás kialakulásának az esélyét. A páciens az átültetést követően 8 hónappal jelent meg a rendelőnkben. Ekkor fogbélelhalás jeleit és periapikális tályog jelenlétét diagnosztizáltuk nála. Az átültetett fog gyökércsúcsa körül radiolucens elváltozás volt látható, viszont a jobb felső bölcsességfognak megfelelően kialakult extractiós seb szövődménymentesen gyógyult (6. ábra). A jelen cikkben bemutatott esethez hasonló helyzetekben, amikor a gyökérkezelésre szoruló fog koronai része teljesen ép, javasolt a konzervatív endodonciai megközelítés alkalmazása. Az endodoncia területén megjelent technológiai fejlődésnek köszönhetően, nagyon jó, hosszú távú eredményeket lehet elérni. A hozzáférési nyílás kialakítása során magas fordulatszámon dolgozó forgó eszközöket és ultrahangos fejeket alkalmaztunk. A gyökércsatornák biomechanikai megmunkálása során rugalmas átöblítő kanülöket és alakmemóriával rendelkező ötvözetekből készült gyökérkezelő tűket alkalmaztunk (Aurum Blue, Meta Biomed).
9. ábra: A gyökértömés behelyezését és a koronai restaurátum elkészítését követően készített periapikális felvétel. A koronai rész helyreállítása során használt tömőanyag pulpakamrába történő helyezése rendszerint jelentős kihívásokkal jár, ha a gyökérkezelés során csupán egy kis átmérőjű hozzáférési nyílás került kialakításra.
Ezeknek az eszközöknek a megléte kifejezett jelentőséggel bír azokban az esetekben, amikor az adott fogak gyökérkezelését konzervatív elveknek megfelelően kialakított hozzáférési nyíláson keresztül akarjuk elvégezni (7. a és 7. b ábra). A stabilizált martenzites fázisban lévő (alakmemória, controlled memory) ötvözetekből készült gyökérkezelő tűknek sokkal nagyobb a ciklikus terhelés során kialakuló erőhatásokkal szembeni ellenálló képessége. A megmunkálást követően egy kálcium-szilikát alapú sealert vittünk be a gyökércsatornákba (CeraSeal és EQ-S, Meta Biomed), amely szonikus aktiválását követően a csatornákat guttapercha segítségével letömtük. (8. a-c ábra) A gyökértömés elkészítésének fázisa technológiai szempontból jelentős kihívásokat hordozhat magában, ha azt egy minimál invazív módon kialakított hozzáférési nyíláson keresztül kell kivitelezni. A kálcium-szilikát alapú sealer alkalmazása elősegíti a gyökértömés elkészítésének folyamatát, a sealer szonikus aktiválása pedig lehetővé teszi a bevitt anyag csatornafalakon történő egyenletes eloszlatását (9. ábra). A definitív koronai zárást még a gyökértömés elkészítésével egy ülésben elkészítettük. A pulpakamrát egy dual kötésű csonkfelépítő anyaggal (NexCore, Meta Biomed) töltöttük fel, míg a tömés okkluzális felszínét hagyományos kompozit felhasználásával építettük ki (Ezfil, Meta Biomed), (10.. és 10. ábra). Ezt követően megkezdtük a páciens orthodonciai kezelését. A gyökérkezelt fog a kezelés során mindvégig tünet- és panaszmentesnek bizonyult. A három évvel később készült kontroll röntgenfelvételen a gyökércsúcs körüli szövetek épnek mutatkoztak (11. ábra)
A páciensek fogainak autogén transzplantációjával kapcsolatban az alábbi szövődmények kialakulására számíthatunk: a fogak extractió közben bekövetkező fracturája, gyökérfelszívódás, helyettesítő reszorpció (ritka), fokozott mobilitás, fogbélelhalás. A páciensek szájhigiénéje a műtétet követő időszakban rendszerint rosszabb lehet, valamint az esetek többségében szükség van az átültetett fog gyökérkezelésére. Az átültetés előnyei közé tartozik, hogy a transzplantált fog esetében is van lehetőségünk a későbbiekben orthodonciai fogmozgatások elvégzésére. Ezt a beavatkozást serdülőkorú páciensek kezelése során is alkalmazhatjuk, valamint – a környező csontállomány funkcionális megterhelésének biztosítása révén – lehetővé válik az állcsontgerinc eredeti dimenzióinak a megőrzése, és a pozíciójuk képes dinamikusan adaptálódni a fogazat fiziológiás
10. a-b. ábra: A koronai helyreállításról az izolálás eltávolítása előtt (a) és után (b) készült szájüregi felvételek.
11. ábra: A beavatkozások elvégzését követően 3 évvel készült kontrollröntgenen a periapikális terület regenerációja észlelhető.
módon bekövetkező változásaihoz. Ez egy rendkívül előnyös tulajdonságnak számít az osszeointegrálódó implantátumok alkalmazásával szemben, mivel azok fix pozícióba kerülnek, és az idő előrehaladtával is ugyanazon pozícióban maradnak. Ez azt jelenti, hogy az állcsontok növekedése esetén az implantátumok pozíciója változatlan marad, és ezáltal a szomszédos fogakhoz képest infra-okklúzióba kerülhetnek. A transzplantáció egyik leggyakrabban hangoztatott előnyeként pedig azt szokták említeni, hogy így lehetőségünk van egy jelentős mértékben destruált fogat egy teljes értékű, tökéletes állapotban lévő fogra kicserélni.
Ha szükség van az átültetett fog gyökérkezelésére, akkor az endodonciai beavatkozásokat célszerű a kérdéses fog koronai és gyökéri anatómiájának megfelelően előre megtervezni. Ezekben az esetekben a lehető legtöbb saját foganyag megőrzését prioritásként kell kezelni. Ilyenkor mindig elsődleges célunk, hogy az átültetett fog rágó- és funkcionális megterheléssel szembeni ellenálló képességének a nagysága a lehető legkisebb mértékben csökkenjen. A konzervatív endodonciai ellátás során az egyik legnagyobb veszélyt az jelenti, hogy a szűk hozzáférési nyílásokon keresztül bevezetett gyökérkezelő tűknek jelentős hajlító feszültséget kell elviselniük (flexural stress). A tűket érő erőhatások nagysága a gyökércsatorna bemeneteknek megfelelően – az egyenes vonalú hozzáférés (straight-line access) hiánya miatt – a megszokotthoz képest nagyobb lesz. A ciklikus terhelés során jelentkező erőhatások nagysága a gyökércsatornákban jelenlévő görbületeknek megfelelően ugyancsak megnövekedhet. Ennek hatására a gyökércsatorna nagyobb mértékű transzportációjára számíthatunk, amely pedig az eredeti gyökércsatorna-lefutás megváltoztatását jelenti. Ha tudjuk, hogy a konzervatív hozzáférési nyílásokon keresztül történő gyökércsatorna-megmunkálás során nagyobb mértékű ciklikus terhelés éri a gyökérkezelő tűket, akkor egyértelműnek kell lenni, hogy ezekben az esetekben nagyobb ciklikus terheléssel szembeni ellenálló képességgel rendelkező gyökérkezelő tűket célszerű alkalmaznunk.
Az Aurum Blue gyökércsatorna-megmunkáló rendszer egy négy gyökérkezelő tűből álló sorozatból épül fel. A gyökérkezelő tűket stabilizált martenzites fázisú ötvözetből készítették (12. ábra). A tűk keresztmetszetét, konicitását, a tűk alapanyagául szolgáló nikkel-titán ötvözet összetételét, valamint a tűk elektropolírozott felszínét oly módon határozták meg, illetve alakították ki, amely lehetővé teszi, hogy végeredményként egy jól kiegyensúlyozott tulajdonságokkal rendelkező gyökérkezelő
eszközt kapjunk. A tűk ciklikus terheléssel és torziós erőkkel szembeni ellenálló képességének mértéke jól aránylik a tűk flexibilis tulajdonságaihoz. A 25/.05-ös méretnél (#25-ös csúcsi átmérő és 5%-os konicitás) kisebb gyökérkezelő tűk négyszög alakú keresztmetszettel rendelkeznek, míg az ennél nagyobb tűk keresztmetszete egy konvex háromszögre hasonlít. A tűk alkalmazása során az alábbi paraméterek használata javasolt: 500 fordulat/perc (500 RPM) és 2 Ncm nyomaték.
A CeraSeal kálcium-szilikát alapú sealer alkalmas az egypoénos gyökértömési technikák során történő felhasználáshoz (13. ábra). Ez a gyökértömési technika jelentős mértékben megkönnyíti a gyökércsatorna-rendszer hermetikus lezárásának kialakítását, amennyiben a gyökértömést egy konzervatív hozzáférési nyíláson keresztül kell elkészíteni. A CeraSeal-t a fizikai tulajdonságai alkalmassá teszik egy hosszú távon dimenzióstabil 3 dimenziós zárás létrehozására. A megfelelő zárás biztosításához nincs szükség hideg vagy meleg guttaperchával történő laterális vagy vertikális kondenzáció alkalmazására. A kálcium-szilikát alapú sealerek számtalan jó tulajdonsággal rendelkeznek, amelynek köszönhetően lehetőségünk van az egypoénos technika alkalmazására. Ezek közül kiemelnénk a jó fizikai tulajdonságokat, a dimenzióstabilitást, a megfelelő záróképességet, az antibakteriális hatást, a biokompatibilitást és bioaktivitást, valamint a periapikális szövetek regenerációját elősegítő képességét. Talán az a legfontosabb, hogy ezek az anyagok képesek a nedves környezetben történő kötésre. Ez azért bír kiemelt jelentőséggel, mivel a dentin körülbelül 20%-os nedvességtartalommal rendelkezik, valamint a fogorvosi tevékenység nagy része nedves, vagy legalábbis nem teljesen száraz környezetben történik.
Amennyiben az autogén fogtranszplantációval elérhető potenciális biológiai és funkcionális előnyöket összehasonlítjuk az implantátumok behelyezésével járó előnyökkel, illetve figyelembe vesszük a minimál invazív módon kivitelezett endodonciai beavatkozásokban rejlő lehetőségeket, akkor arra a megállapításra juthatunk, hogy az új endodonciai technikák, eszközök és anyagok alkalmazásával az autogén fogtranszplantáció egy reális terápiás alternatíva lehet, főként a fiatal és jól együttműködő páciensek esetében!
Forrás: Roots 2021; 1 26-29
Miközben a fogászatban felgyorsult a technológiai fejlődés, a rágószerv funkcionális zavarára (craniomandibuláris diszfunkció), gyógyítására és megelőzésére nem születtek érdemi válaszok.
Ezt a hiányt igyekszem pótolni A FIATALÍTÁS FOGÁSZATI KEZELÉSSEL című digitális könyvemmel.
Ötven éves kutatómunkám és gyakorlati tapasztalatom azt mutatja, hogy a sikertelen fogászati kezelések leggyakoribb oka a hibás harapás okozta ízületi fej kényszerhelyzet.
Az állkapocsízület kezelése tipikusan a legkevésbé értett téma, mégis remélem, hogy könyvem elolvasása után összeáll a puzzle-kép és Ön megkapja a kulcsot az eredményesebb gyógyításhoz.
Rendelje meg A FIATALÍTÁS FOGÁSZATI KEZELÉSSEL című digitális könyvet! – Ára: 18 000 Ft
Tartalom:
1. fejezet Bevezetés
2. fejezet A harapás tudományának története
3. fejezet Élettani és anatómiai összefüggések
4. fejezet Rutin fogászati gyakorlat
5. fejezet Az általam végzett gyakorlat
6. fejezet A harapás mérése
7. fejezet Mechanikus axiográfia
8. fejezet Becsiszolás
9. fejezet A megfiatalítás esztétikai feltétele
10. fejezet Még néhány gondolat
11. fejezet Magamról
12. fejezet Utószó Függelék
A Centrocc-módszer gyakorlata
Dr. Fehér Tibor (Centrocc Professional)
Dr. Jenner Argueta, dr. Benjamín Rodríguez (Guatemala)
1. a–g. ábrák: A direkt pulpasapkázás lépései. Kiindulási bitewing-felvétel: A meglévő restaurátum közel helyezkedett el a pulpakamrához (a). Kiindulási periapicalis felvétel: Nincs periapicalis elváltozás fennállására utaló jel (b). A pulpaexpozíció (c). A vérzéscsillapítás céljából 20 másodpercen keresztül steril vattagombóccal történő kompressziót követően látható pulpaseb (d). A pulpasapkázás céljából behelyezett anyag, a széli részek tisztázása előtt készült felvétel (e). A röntgenárnyékot nem adó ideiglenes tömés behelyezése után készült felvétel (f). Az első ülés végén a röntgenárnyékot nem adó ideiglenes töméssel ellátott fogról készített röntgenfelvétel (g).
A gyökércsatorna-rendszer fertőtlenítésének és megfelelő lezárásának kiemelt jelentősége van az endodonciai sikeresség szempontjából. A gyökércsatorna-rendszer komplexitása és a benne található anatómiai variációk sokszor jelentős kihívást jelenthetnek a gyökértömések elkészítése során a klinikusok számára. Ez is azt igazolja, hogy a megfelelő gyökértömő anyag kiválasztása kiemelt jelentőséggel rendelkezik.1 A kalcium-szilikát alapú gyökértömő anyagok a kerámiák azon csoportjába tartoznak, amelyek jelentős mértékben hasonlítanak az emberi szervezetben található hidroxilapatithoz, és ennek a tulajdonságuknak köszönhetően képesek jó bakteriális zárás biztosítására.2 Az egyik nagy előnyük a kiváló biokompatibilitásukból származik. A kalcium-foszfát tartalmuk megakadályozza a kilökődést provokáló sejtválasz kialakulását, valamint ennek köszönhetően jelentősen
javultak a biokémiai tulajdonságaik. A csontokban és a dentinben található apatithoz hasonló kristályos szerkezettel rendelkeznek.3
A kalcium-szilikát alapú anyagok összetevői közé tartozik az alumínium-oxid, a cirkónium-dioxid, a bioaktív üveg, az üvegkerámiák, a hidroxilapatit és a felszívódó kalcium-foszfátok.4
Az egyik legsikeresebben alkalmazott bioaktív anyagot, az ásványi trioxid aggregátumot (mineral trioxide aggregate, MTA) dr. Mahmoud Torabinejad az 1990-es években fejlesztette ki az Egyesült Államokban található, Loma Linda Egyetemen. Az elmúlt évek tapasztalatai alapján az MTA kitűnő lezárást biztosít, bioaktív, biokompatibilis és hidroxidionok felszabadítása miatt a környező szövetekben megemelkedett pH értéknek köszönhetően kiváló antibakteriális hatással is rendelkezik.5 A különböző típusú kalcium-szilikát alapú anyagokra is egyaránt jellemzőek az előbbiekben felsorolt tulajdonságok. Ezek az anyagok többféle konzisztenciában és kiszerelésben is elérhetőek. Az anyagválasztást mindig az adott klinikai szituáció befolyásolja. Indikációs területeik közé tartozik a direkt pulpasapká-
2. ábra: A hat hónapos kontroll alkalmával készített röntgenfelvételen vastag dentinhíd látható a pulpasapkázó anyag alatt.
3. ábra: A hároméves kontroll alkalmával készített röntgenfelvételen megfigyelhető a restaurátum pontos illeszkedése.
4. ábra: A direkt pulpasapkázás lépéseit bemutató videó (https://youtu.be/bfBksF35IjY).
5. ábra: A kalcium-szilikát alapú sealerek klinikai alkalmazását bemutató videó (https://youtu.be/h3p1mZlNUzM).
zás, csontdefektusok zárása, gyökértömések és retrográd gyökértömések elkészítése, perforációzárás, regeneratív endodonciai beavatkozások és reszorpció miatt kialakult defektusok ellátása.6
Ha a kialakult pulpasebek ellátatlanul maradnak, először irreverzibilis pulpitis, majd pulpanecrosis fog bekövetkezni.7 Ennek megfelelően amennyiben a beavatkozásokat végző orvos nem kívánja a még élő pulpát eltávolítani (pulpectomia, exstirpáció), úgy a direkt pulpasapkázás számít a megfelelő terápiás választásnak. Ez különösen igaz a fiatal páciensek maradó fogainak esetében.8 A jelenleg elérhető – főleg sűrű konzisztenciájú – biokerámiák alkalmasak az ez
irányú felhasználásra. Ezek az anyagok azáltal képesek a dentinhez kötődni, hogy felszínen egy új hidroxilapatit réteget alakítanak ki. Ez annak köszönhetően, hogy az exponálódott pulpasebek közelében serkenteni tudják a sejtek toborzását és differenciálódását.9 Az MTA-hoz hasonló antibakteriális tulajdonságokkal is rendelkeznek a főbb kariogén baktériumokkal szemben (Streptococcus mutans, lactobacillusokkal),10 továbbá megfelelő a biokompatibilitásuk, és képesek reparatív dentinhidak képződését előidézni.
Egy 35-éves férfi beteg akut ellátás céljából kereste fel rendelőnket. A jobb felső második kisőrlő (15) fogát érő hideg inge-
6. a–d. ábrák: A bal alsó második nagyőrlőfogon (3.7) kialakított konzervatív hozzáférési nyíláson keresztül végzett endodonciai kezelés lépései. A mezialis gyökér jelentős mértékben görbült. A gyökértömés hidraulikus kondenzációs technikával készült.
7. a – b. ábrák: A jobb alsó első nagyőrlőfogon (4.6) lévő cirkóniumkoronán keresztül elvégzett endodonciai kezelés. A hozzáférési nyílás kialakítása a lehető legkonzervatívabb módon történt. A gyökértömés hidraulikus kondenzációs technikával készült.
rekre jelentkező, rövid ideig tartó éles fájdalomra panaszkodott. A diagnózisunk reverzibilis pulpitis volt. Periapicalis elváltozás jelenlétét nem vélelmeztük. A fogban lévő amalgámtömés eltávolítása során körülbelül egy 3 mm átmérőjű pulpaseb keletkezett a buccalis pulpaszarvnak megfelelően (1. a–g. ábrák) Mivel nem tapasztaltunk jelentős vérzést, és a diagnózisunk reverzibils pulpitis volt, ezért a direkt pulpasapkázás elvégzése mellett döntöttünk.
A kavitást 2,5%-os nátrium-hipoklorit oldattal fertőtlenítettük, majd sűrű konzisztenciájú kalcium-szilikát alapú anyagot (CeraPutty, Meta Biomed) készítettünk elő a direkt pulpasapkázás elvégzéséhez. Az első kezelés végén röntgenárnyékot nem adó ideiglenes töméssel (NexTemp LC, Meta Biomed) zártuk
8. ábra: Egy konzervatív endodonciai kezelést bemutató videó (https://youtu.be/M87d_Ycitcg). 9a 9b 9c
az üreget annak érdekében, hogy a direkt pulpasapkázásra használt anyag megfelelő pozícióját radiológiailag ellenőrizni tudjuk. A második ülés során kompozit tömőanyagból (Ezfil, Meta Biomed) direkt adhezív restaurátumot készítettünk.
A kezelést követően a beteg tünetmentes volt. A kérdéses fog a kontrollvizsgálatok során végzett szenzibilitástesztekre fiziológiás reakciókat adott. A hat hónapos kontroll alkalmával készített röntgenfelvételen a sérülésnek megfelelően széles dentinhidat észleltünk (2. ábra). A restaurátum a hároméves kontroll során is megfelelőnek bizonyult (3. ábra)
Gyökérkezelés
A gyökércsatorna-rendszer gyökértöméssel való zárása során elengedhetetlen a csatornák mindhárom dimenzióban való kitöltése. Ennek a követelménynek a guttapercha és eugenolalapú sealerek alkalmazásával járó hagyományos obturációs technikák választása esetén rendkívül nehéz eleget tenni, mivel ezekben az esetekben nem alakul ki adhézió a gyökércsatornák falai és a gyökértömésre használt anyagok között, valamint
9. a–c. ábrák: A jobb felső nagymetszőfog (1.1) kezelése során készült radiológiai felvételek. Kiindulási röntgen: jól látható a gyökér-reszorpció és a gyökér oldalán elhelyezkedő radiolucens terület (a). A reszorpció szintjéig tartó munkahossz meghatározás (b). A gyökér-reszorpció ellátása kalcium-szilikát alapú anyag segítségével (c).
10. ábra: A szónikus aktiválással behelyezett kalcium-szilikát alapú sealer használatát bemutató videó (https://youtu.be/ CmXNk2uh6Mw).
11. a–c. ábrák: A jobb felső nagymetszőfog (1.1) kezelése során készült radiológiai felvételek. Kiindulási röntgen: jól látható a gyökér-reszorpció és a gyökér oldalán elhelyezkedő radiolucens terület (a). A teljes munkahosszon levezetett mester poénról készült felvétel (b). Az endodonciai ellátás befejezését követően készített felvétel (c).
ezek az anyagok képtelenek a gyökércsatorna-rendszer belső anatómiáját teljes mértékben feltölteni. A bioaktív kalcium-szilikát alapú anyagok a fizikokémiai tulajdonságaiknak köszönhetően képesek ezeknek a kihívásoknak eleget tenni.11 Ezek a sealerek elsősorban kalcium-szilikátot, cirkónium-dioxidot,
tantál-oxidot, kalcium-foszfátot és egyéb töltőanyagokat tartalmaznak.12 Alkalmazásuk során az egy poén technika (single cone technique) használatát javasolják. Ezt az eljárást ebben az esetben általában hidraulikus kondenzációs technikának nevezik. Ez a módszer képes a gyökértömés elkészítésének
12. ábra: A jobb felső nagymetszőfog (1.1) kezelése során készült radiológiai felvételek. Kiindulási röntgen: jól látható a gyökér-reszorpció és a gyökér oldalán elhelyezkedő radiolucens terület (a). Az endodonciai ellátás befejezését követően készített felvétel (b). A hároméves kontroll alkalmával készített röntgenfelvétel a gyökér oldalán elhelyezkedő radiolucens terület teljes gyógyulását és a reszorpió megfelelő lezárását mutatta (c).
13. ábra: A jobb és a bal felső nagymetszőfogakról (1.1, 2.1) készült kiindulási felvételek. Mindkét fog körül sugáráteresztő elváltozás volt megfigyelhető. A 2.1-es fog esetében a cement leválását (cemental tears) is észleltük. 14. ábra: Az eltávolított 2.1-es fog alveolusába helyezett csontpótló anyag.
folyamatát a végeredmény sikerességének csökkentése nélkül leegyszerűsíteni.13 A megfelelő bakteriális zárás biztosítására való képességük, a keményszövet-képződést indukáló bioaktív felszín kialakítására való alkalmasságuk, valamint a kiváló antibakteriális tulajdonságaik kifejezetten alkalmassá teszik ezeket az anyagokat, hogy hagyományos gyökérkezelések során gyökértömő anyagként alkalmazzuk őket.14 Az 5. ábra ezen sealerek alkalmazásának klinikai technikáját mutatja be.
Mindkét esetben irreverzibilis pulpitis miatt vált szükségessé a fogak endodonciai kezelése (6. a-d. és 7. a-b. ábrák). Az esetek ellátása során mindvégig minimálinvazív megközelítést alkalmaztunk. A hozzáférési nyílás kialakításától kezdve az endodonciai kezelés befejezését követő csonkfelépítésig, minden beavatkozás ennek megfelelően történt.
A konzervatív módon kialakított hozzáférési nyíláson keresztüli végzett kezelések során az egyik legnagyobb kihívást a gyökértömés elkészítése jelenti. Az egyenes irányú hozzáférés hiánya, a korlátozott rálátás és a pulpakamra kisméretű hozzáférési nyílása miatt csökkent hatékonyságú tisztíthatósága mind olyan faktorok, amelyeket figyelembe kell venni, ha minimálinvazív hozzáférést alakítunk ki.15 A kalcium-szilikát alapú sealerek fizikai tulajdonságai lehetővé teszik a klinikusok számára, hogy leküzdjék ezeket az akadályokat. A viszonylag
egyszerű obturációs technika, az anyag viszkozitási tulajdonságai és a pulpakamra viszonylag egyszerű tisztíthatósága a kezelésünk prognózisának veszélyeztetése nélkül teszi lehetővé az endodonciai beavatkozások lehető legkonzervatívabb módon történő kivitelezését. A bemutatott esetek ellátása során az Aurum Blue rendszert (Meta Biomed) használtuk a gyökércsatornák megmunkálására, míg a gyökértömés elkészítése során hideg hidraulikus kondenzációs technikát alkalmaztunk a kalcium-szilikát alapú CeraSeal (Meta Biomed) sealer felhasználásával (8. ábra).
Gyökér-reszorpció kezelése Az iatrogén gyökérperforáció és a reszorpció miatt kialakuló károsodások olyan nemkívánatos szövődmények, amelyek eredményeképpen a gyökércsatorna-rendszer és a parodoncium között közvetlen kommunikáció jön létre. Ez hosszú ideig fennálló gyulladás és alveolaris csontveszteség kialakulását eredményezheti. Az ilyen jellegű elváltozások ellátása során az MTA bevezetése óta egyértelmű, hogy milyen hatást várunk el a kalcium-szilikát alapú anyagok alkalmazását követően. Ezekben az esetekben olyan anyagokra van szükségünk, amelyek alkalmasak a perforáció zárására, és ezzel egyidejűleg a szöveti regenerációt is képesek elősegíteni.16 A jelenleg elérhető bioaktív anyagok egy része előre kevert pasztaként putty konzisztenciában kerül kereskedelmi forgalomba. Ezek a sealerek alapvetően az MTA alternatívájának számítanak. Az előnyeik közé soroljuk a rövidebb kötési időt, a kiváló feldolgozhatóságot és az MTA-hoz hasonló biokompatibilitást.17
Egy 35 éves férfi beteg a középső metszőfogait érintő érzékenység miatt kereste fel a rendelésünket. A klinikai vizsgálat során akut periapicalis abscessust észleltünk. A radiológiai vizsgálat eredményeinek kiértékelés során a jobb felső nagymetszőfog (11) gyökerét érintő reszorptív elváltozást láttunk. A beteg egy néhány évvel korábban bekövetkezett, a kérdéses régiót érintő traumás sérülésről számolt be. A diagnózisunk pulpa nekrózis és akut periapicalis abscessus volt.
A gyökérkezelés megkezdését követően az első ülésben nem lehetett a gyökércsatorna teljes munkahosszán végighaladni.
A gyökérkezelő tűk egy bizonyos mélység elérését követően folyamatosan a gyökér mezialis oldalán elhelyezkedő reszorbeálódott területbe vezették magukat. Emiatt a reszorpció által okozott defektus zárása mellett döntöttünk (9. a–c. ábrák). A
15. ábra: Az 1.1-es fogat ultrahangos eszközök segítségével retrográd irányból preparáltuk.
16. ábra: A retrográd gyökértömés elkészítése során CeraPutty sealert használtunk.
17. ábra: A műtét után készített röntgenfelvételen jól látható a megfelelően illeszkedő, homogén retrográd gyökértömés.
„Egyszerű, biztonságos, megbízható”
l Innovatív EDM gyártási technológiával készült extra rugalmas minőségi tűk
l Csiszoló hatás a tű teljes felületén, kiváló vágóélek, kisebb törmelék képződés, könnyebb tisztítás
l Progresszív hajlékonyság és törési ellenállás
l Endodonciai kezelésre és újrakezelésre egyaránt alkalmas
l Meleg vízbe téve a tű kiegyenesedik
l GPS Pathfinder kereső tű a gyökércsatorna nyílás és út megtalálásához és a nehéz esetekhez
1025 Budapest, Szépvölgyi út 52. Tel.: 06-1-325-7129, tel./fax: 06-1-325-7220
E-mail: herbodent@herbodent.hu
l Nincs elakadás, nincs álút, az összes gyökércsatorna anatómia esetén használható
Induló szett ára: bruttó 21 000 Ft
zárás során EQ-S eszközzel (Meta Biomed) szónikusan aktivált CeraSeal pasztát használtunk (10. ábra). A második ülés megkezdésére a reszorbeálódott területre helyezett anyag teljesen megkeményedett, és ezáltal lehetővé vált a gyökérkezelő tűk gyökércsatorna lumenének teljes hosszán történő végigvezetése. Az endodonciai kezelés befejezésekor szintén a CeraSeal anyagot használtuk sealerként (11. a–c. ábrák) A hároméves kontroll alkalmával készített röntgenfelvételen a korábban a gyökér laterális részén elhelyezkedő radiolucens elváltozások teljes regenerációját észleltük (12. a–c. ábrák)
18. a–c. ábrák: Sebzárás. Közvetlenül a varratok behelyezése után készült felvétel (a). Az ötnapos kontroll alkalmával, közvetlenül a varratszedés előtt készített felvétel (b). A közvetlenül a varratszedést követően készített felvételen a megfelelő ütemű sebgyógyulás jelei láthatóak (c). 19. ábra: A négy hónapos kontroll alkalmával készített röntgenfelvételen mindkét fogpozíciónak megfelelően a gyógyulás jelei láthatók (1.1: endodoncia műtét, 2.1: alveolus prezerváció).
Az ideális gyökértömő anyagoknak számos jól meghatározott kritériumnak kell megfelelniük. Ezek között szerepel a megfelelő biokompatibilitás, a kiváló bakteriális zárás, a baktericid, de legalább bakteriosztatikus hatás, valamint a periapicalis szövetek regenerációjának elősegítése.18 Évek óta az MTA számít az aranystandardnak az endodonciai sebészeti beavatkozások során elvégzett retrográd gyökértömések készítése során. Azt is fontos megjegyezni, hogy az MTA kezelhetősége nem a legmegfelelőbb. Ennek megfelelően putty és paszta formátumú előre kevert biokerámiák kifejlesztése során az volt a cél, hogy az MTA-hoz hasonló tulajdonságokkal rendelkezzenek, de a kezelhetőségük ehhez képest jóval kedvezőbb legyen.19
Egy 50 éves férfi beteg jelentkezett a rendelőnkben a bal felsőt (2.1) érintő III-as fokú mobilitás és intraorális duzzanat miatt. A beteg a jobb felső nagymetszőfogánál jelentkező ráharapási fájdalomról is beszámolt (13. ábra.) A korábban már gyökérkezelt és gyökértöméssel ellátott 2.1-es fog esetében a diagnózisunk akut periapicalis abscessus volt. A mezialis és distalis gyökérfelszíneknek megfelelően a cement leválását (cemental tears), illetve a gyökér fracturáját észleltük. A korábban szintén gyökérkezelt és gyökértömött 1.1-es fog diagnózisa periodontitis periapicalis symptomatica volt.
A 2.1-es fogat eltávolítottuk, majd az alveolust csontpótló anyaggal (DM Bone, Meta Biomed) prezerváltuk, hogy a későbbiekben alkalmas legyen egy implantátum befogadására (14. ábra). Négy héttel a fogeltávolítást követően endodonciai sebészeti beavatkozást végeztünk a jobb felső nagymetszőfog gyökércsúcsának megfelelően. A fog gyökerét konzervatív módon rezekáltuk annak érdekében, hogy a lehető legoptimá-
lisabb korona-gyökér arányt biztosítsuk. A rezekciót követően az ultrahangos megmunkáló fejek segítségével a gyökércsatornát retrográd irányból preparáltuk (15. ábra), majd CeraPutty anyaggal retrográd gyökértömést készítettünk (16. és 17. ábrák)
A sebzárásra használt varratokat az ötödik posztoperatív napon távolítottuk el. (18. a–c. ábrák). A négy hónapos kontroll során készített röntgenfelvételen mindkét fog pozíciójának megfelelően a gyógyulás jeleit észleltük (19. ábra)
Napjainkban az endodonciai beavatkozások végzése során kiemelt jelentőséggel bír, hogy olyan sealereket használjunk, amelyek megfelelnek a Grossman által meghatározott kritériumok többségének, valamint a használatukat a szakirodalomban leírtak is alátámasztják, és a természetes fogak megmentését előtérbe helyező szakemberek számára is könnyen kezelhetőnek bizonyulnak. A saját fogak megmentése hatalmas értékkel bír, mind emberi, mind szakmai szempontból. Ez különösen igaz a fogászati implantátumok korában, amikor egy helytelenül felállított diagnózis a természetes fogak idő előtti elvesztéséhez vezethet. Az endodontusok a mindennapi munkájuk során a természetes fogak lehető legtovább történő megőrzésére törekednek. Az endodonciai célra is alkalmazható kalcium-szilikát alapú anyagok kiválóan alkalmasak az endodontusok munkájának elősegítésére, mivel többek között gyorsítják a szövetek gyógyulását, fokozzák a csontállomány mineralizációját, biokompatibilisek, kiváló bakteriális zárást biztosítanak, hidrofilek, és emellett könnyen kezelhetőek. A természetes fogak megmentéséhez elengedhetetlen a megfelelő anyagok és felszerelések használata, valamint az endodonciában jártas fogorvosok szakértelme.
(A cikk megírásához felhasznált irodalmi hivatkozások jegyzéke a szerkesztőségünkben elérhető.)
Forrás: Roots 2021; 3 32–37
A száj és a fogak nemcsak a táplálkozás és az emberi kommunikáció fontos részei, de esztétikai szempontból is jelentős szerepük van. Az egészséges fogak és fogíny egészségünk meghatározó elemei, a hibátlan, derűs mosoly pedig minden egyén kívánsága.
Az íny leggyakoribb gyulladásos megbetegedése a gingvitis vagy fogínygyulladás, mely legtöbbször a rossz szájhigiénia következményeként jön létre. A begyulladt és vérző fogíny a rossz lehelet mellett a betegség első jele. A gingvitist tehát gyógyítani kell, mert különben a gyulladás előrehaladott állapotában a gyulladt íny gócként szerepel, mely gócbetegségeket okozhat.
Az egészséges ember szájában folyamatosan jelen vannak mikroorganizmusok, amelyek szaporodása az íny gyulladásához vezet, és idővel a fogágy többi része is érintett lesz, paradontitis jelentkezhet. A tasakok mélyebbek lesznek, ezért a gyulladás ráterjed a mélyebb paradontális szövetekre is. A fogágygyulladás következtében a fogakat rögzítő szövetek elbomlanak, a betegség pedig átterjedhet az állkapocs csontszövetére is. Ennek együttes következménye, hogy a fog tartószerkezete meggyengül, elbomlik, így a fogak meglazulnak, majd kihullanak.
A hialuronsav a fogágy kötő- szövetének fontos kompo- nense
A hialuronsav a szervezet természetes anyaga és az egészséges fogíny fontos komponense. Alkalmazása a fogászatban: – csökkenti a szájnyálkahártya-irritációt
– megvéd a fertőzésektől
– felgyorsítja a sebgyógyulást és szövetregenerációt – csökkenti a fogínyvérzést, a foggyulladást és a duzzanatot
A kutatások kimutatják, hogy a hialuronsav fogászati alkalmazása jelentős mértékben hozzájárul az ínybetegségek megakadályozásában és gyógyításában.
Ínybetegségek megelőzése és gyógyítása hialuronsavval
A gyógyszertárakban és speciális üzletekben különböző formákban és kiszerelésben már 3 éve kapható a Gengigel, ami az egyedüli hialuronsav-alapú készítmény.
A termékcsalád használata egyszerű, gyermekek, terhes nők és cukorbetegek egyaránt használhatják. A hialuronsav tartalma miatt hatékony megoldás az alábbiakra:
– ínyvérzés
– gingivitis (fogínygyulladás)
– parodontitis (fogágybetegség)
– megsértett íny (sebészeti beavatkozás, foghúzás, fogpótlás után)
– korona, híd, fogprotézisek miatt irritált szájnyálkahártya
Ezen tulajdonságai alapján bátran állíthatjuk, hogy a Gengigel az egészséges fogíny receptje. (X)
Forrás: Medis sajtóanyag
Hialuronsav
gél/szájöblögető oldat/szájspray/baby gél
nagyi protézis által irritált íny, fogágygyulladás
anyu ínyvérzés és afták
csillapítja a vérzést elősegíti a sebgyógyulást a szájüregben elősegíti a szövetregenerációt csökkenti a duzzanatokat védi a szájnyálkahártyát a fertőzésektől
jani sérült íny
misike a fogzás időszakában
Dent-East Kft. 1112 Budapest, Rétkerülő út 51 www.dent-east.com • mail@dent-east.com
AUTOKLÁV Új olasz fejlesztés megbízhatóság, egyszeru ” kezelés, letisztult dizájn
1077 Bp., Rózsa utca 29. www.modent.hu, info@modent.hu
Loupes and lights
kocka hogy ne ragadjon a műszere a kompozithoz!
Dr. Volom Dental 1067 Budapest Podmaniczky u. 39. Tel.: +36 1 311 65 84 www.drvolomdental.hu
opron, Faller Jenő u .:+36 99/508-698 ax: +36 99/508-696 .hu
Fogászati kereskedelem
• AMPRI: színes e.h. eszközök;
• Anger: matricák, ideiglenes koronák, fényvezető ék;
• ASA: műszerek, egyszer használatos eszközök;
• BISCO: cementek, bondok, kerámiajavító;
• FKG: endodonciai eszközök;
• DTS: színes műanyag lenyomatkanalak;
• NEOLIX: gépi gyökérkezelő tűk;
• OLIDENT: tömőanyagok, sav, bond;
• ORO CLEAN: fertőtlenítőszerek;
• PROMEDICA: cementek, tömőanyagok, alábélelők;
• SCORPION: scaler végződések, implant tisztításhoz is;
• SHOFU: cementek, tömőanyagok, csiszolók;
1135 Budapest, Frangepán u. 66/B. +36 1 236 4000 | info@newyorkdental.hu www.newyorkdental.hu Közvetlenül az importőrtől:
• SS White: koronafelvágó, karbid- és gyémántfúrók;
• TIDI: védőmaszkok;
• WHITEWASH: fogkrém, fogkefe;
• ZHERMACK: A- és C-szilikon, alginát lenyomatanyagok.
HERBODENT Kft.
✉ 1025 Bp., Szépvölgyi út 52. % 325-7129 %/fax 325-7220, mobil: 30/203-6957, 30/241-5737 e-mail: herbodent@herbodent.hu, www.herbodent.hu