2023. VI. évfolyam
6. szám

2023. VI. évfolyam
6. szám
A FOGÁSZAT INFORMÁCIÓS MAGAZINJA www.dental.hu
„A tanulási folyamatnak soha nincs vége…”
Kofferdám izolálás mellett ragasztott kerámia héjak: Az eredmények öt évvel később történő ellenőrzése
Az esztétikai zóna minimál invazív multidiszciplináris megközelítéssel történő helyreállítása
Implantátum protézisek
A 10 éves Alpha Implant Kft. a hagyományos munkafolyamatok mellett a digitális workflow minden lépésére megoldást kínál. A digitális technika fejlődése a fogászati piacon is egyre nagyobb teret hódít. Ebben nyújt
segítséget a 6 lépésből álló Alpha Digital Workflow, amely az intraorál scanneléstől a kész fogmű behelyezéséig terjed. Ne zárja magát keretek közé, lépjen az Alpha Implant Kft.-vel a Digitális Szabadság Világába!
2023-ra a fogászati szektor – reményeink szerint – fel tudja dolgozni a Covid-19 okozta nehézségeket, a háború mellett elszabaduló inflációt, és már tervezi az idei év fejlődési lehetőségeit. Mindanynyian abban bízunk, hogy időben alkalmazkodni tudunk majd a változásokhoz, és stabilan tudjuk vezetni a vállalkozásinkat!
A tavalyi év sokunk életében hozott különböző nehézségeket, mégis elmondhatjuk, hogy mindenképp jobb volt, mind a 2020-as és a 2021-es esztendő, amikor a létbizonytalanság, a járványtól való félelem uralta a napjainkat. Az idegenforgalom szépen megindult, de a korábbi számok, a vendégéjszakák még nem érik el a 2019-es év adatait. A nagy rendelők már próbálnak teljes kapacitással üzemelni, a fogtechnikai laborokban is visszatért a folyamatosság, a fogászati kereskedők jelentős része pedig jobb évet zárt 2022-ben, mint korábban.
A fogászati rendelők és fogtechnikai laborok az elmúlt 2-3 évben főleg a fejlesztéseket állították előtérbe, amelyhez számos pályázat és egyéb forrás is kedvező konstrukciókat kínált. 2023-ban – tudomásunk szerint – is lesznek új pályázati források, melyekről a kereskedelmi vállalatok részletesebb információkat tudnak adni. Az új források bevezetése idén már bizonyosan ismét növekedési spirálba helyezi majd ezt a szektort!
Az infláció elérte a fogászati ágazatot is, a vállalkozások az euro változásától, gyengülésétől függően azzal találkoznak, hogy az árak – a mindennapi élet mellett – itt is jelentősen és folyamatos változnak, emelkednek. A fogászati rendelők is kénytelenek az áraikat emelni, egyre több rendelő, ún. „piaci alapú” árképzést vezet be. A folyamat kimenetelét még nem lehet pontosan látni, a munkaerő fluktuációja, az Európai Unió áraihoz képest alacsony magyar fogászati beavatkozások értéke - jelenleg még nem érte el a drágulás csúcspontját. Az elmúlt időszakban számos újság, cikk foglalkozott a fogászati szektorban található extra drágulási folyamattal. Ez egyelőre - a hazai rendelőkben - még nem mutatott jelentős problémát, új hívószavakkal, sok marketing munkával, reklámmal most a magyar lakosságot kell határozottabban a rendelőkbe invitálni!
Idén már 23. éve nagy energiával szervezzük, és sok munkával készülünk az őszi Dental World Nemzetkö-
zi Kongresszus és Szakkiállítás sikeres lebonyolítására, melyen reméljük, hogy az egész fogászati szakma képviselteti majd magát! Nemzetközi szinten is ismert/elismert előadók, gyakorlat-orientált képzések, továbbá sok új élmény is várja majd a látogatókat, az érdeklődőket!
A kiadó bizakodva tekint a jövőbe, a megújult tartalmaink kapcsán sok pozitív visszajelzést kapunk, melyeket nagyon köszönünk! Az elmúlt években - a nehézségek ellenére is - növelni tudtuk a kiadványaink, a magazinjaink számát, nem csökkentve azok tartalmi minőségét. 2020 óta a tematikus e-Journalok is folyamatosan megjelennek, melyek egyfajta online könyvtárként is szolgálnak az olvasóinknak. A dental. hu oldalon díjmentesen elérhetőek a korábbi tematikus online lapszámaink is.
A mostani kiadványunkban általános fogorvosi eljárások mellett az esztétika témakörével foglalkozunk.
Jó olvasást kívánok!
Laczkó Tamás, felelős kiadó
E-Journal VI. évfolyam, 2023. 6. szám
Kiadja: DP Hungary Kft. 1012 Budapest, Kuny Domokos u. 9.
Felelős kiadó: Laczkó Tamás
Főszerkesztő: Dr. Riba Magdolna
Előkészítés:
DP Hungary Kft., Sárközi András e-mail: grafika@dental.hu
Információ, hirdetésfelvétel:
Bárdos Veronika, telefon: 06-30-472-0030, 06-1-793-1874
Az újság e-mail címe: info@dental.hu
Az újság internetcíme: www.dental.hu
Terjesztés: E-mail hírlevél formájában.
A tudományos közleményeket a szerkesztőség lektoroknak adja át véleményezésre. Közlés csak egyetértő lektori vélemény, illetve a javasolt módosítások elvégzését követően lehetséges.
A cikkek szerzői vállalják, hogy az általuk elküldött írás saját forrásból származik, illetve a felhasznált anyagokat (publikációkat, illusztrációkat, képeket stb.) mindenkor pontosan feltüntetik. Írásaiknak jogi és egyéb adatvédelmi kérdéseiben felelősséget vállalnak.
A német nyelvű szakmai cikkeink magyar fordítását az Oemus Media AG Kiadó engedélyével szerkesztettük lapunkba.
A fel nem használt kéziratokat, fotókat nem őrizzük meg, és nem küldjük vissza.
A hirdetések tartalmáért nem vállalunk felelősséget. A gyártó, illetve forgalmazó cégek kérésére közzétett cikkeket keretbe foglalva közöljük és (x)-szel jelöljük, azok szakmai tartalmáért a szerkesztőbizottság nem vállal felelősséget.
2022 / III.ÉVFOLYAM–ÁR:2500FT
ADENTALPRESSTEMATIKUSKIADVÁNYA
pot az orvoskamara kifejezésével élve: „irányítási-igazodási válság” –, amiben az egészségügy járvány eleje óta őrlődött két tárca között. Igaz, sokan csalódtak, hogy az új kormányban sem lesz egészségügyi minisztérium. Őket friss ágazati egyik első megszólalásakor azzal vigasztalta, hogy az egészségügy érdekérvényesítő képességét nem az önálló minisztérium erősíti, hanem a mi
niszter személye.
bilitás érzetét erősítheti, mivel
Tanulmányozd először az elméletet, aztán jöjjön a gyakorlat, mely belőle származik
„A helyreállító fogászat lett a szenvedélyem és a mindennapi munkám”
Hagyományos teljes fogsor hatékony átalakítása
Teljes ívű rehabilitáció primer vázra ragasztott lítium-diszilikát szekunder koronákkal
Az egyik legismertebb esztétikai fogorvos Magyarországon, fogszorítás terápia specialista, implantológus, és nemzetközileg is elismert előadó. Számos fogászati témájú cikk szerzője, illetve több könyv társszerzője, és sok különleges fogászati eljárás meghonosítója. Évente több száz fogorvos tanul a kurzusain. A Magyar Esztétikai Fogászati Akadémia, a Myofunkcionális Interdiszciplináris Terápiás Társaság, a Magyar Restauratív és Esztétikai Fogászati Társaság alapítója, a Magyar Parodontológiai Társaság, a Magyar Endodonciai Társaság tagja. Az általa vezetett Dr. Volom Dental Medical Oktatóközpont vezetője, az amerikai Center for Dental Excellence partnere, vendégkutató a Magyar Természettudományi Múzeum Antropológiai Osztályán.
1984-ben végzett a Budapesti Semmelweis Orvostudományi Egyetem Fogorvostudományi Karán. Már egyetemi évei alatt komolyan érdeklődött a kompozitok anyagszerkezete iránt. Milyen úton haladt ennek a témakörnek az alaposabb megismerése?
Az egyetemen mi voltunk az első évfolyam, akiknek már szakdolgozatot kellett írni. Én a kompozíciós tömőanyag témakörét választottam. Ez azonnal felkeltette az érdeklődésem, hatalmas örömforrássá vált. Miközben nagyon alaposan utánanéztem a téma szakirodalmának, megismertem, hogy milyen óriási lehetőségeket rejt ez az anyag, nagyon sok mindenre lehet használni, így pl. az esztétikai munkáknál is.
A kompozit volt az első „szerelem”, utána természetesen végigjártam a hagyományos utat. Örömöt jelentett egy szép tömés elkészítése, egy szép korona átadása, egy körhíd, vagy a direkthéjak készítése. E munkák során azonban újabb és újabb problémák is jelentkeztek, többek között, hogy ezeket be kell illeszteni az arc harmóniájába, illetve a harapás beállítása mennyire fontos.
Közben egy kongresszuson megismerkedtem (itt már én is előadóként voltam ott jelen) Gary Unterbrink professzorral, aki az Ivoclar jeles kutatója volt, a kompozitok kiemelkedő szintű ismerője és a direkt restaurációk remek művelője, egyébként is egy kiváló képességű, gondolkodó ember. Sokat beszélgettünk a bruxizmus (fogszorítás) problémájáról, és arról is, hogy a tökéletes megoldása szinte lehetetlen. Ő ismertetett meg az NTI-TSS harapásemelővel, mindez „nagy kaland” lett az életemben. „Bedobott a fogszorítás mély vizébe”, amely sokszor kínált egy bizonyos fajta megoldást, de egy-egy esetben sikertelenséget is. Ezután közel tíz év tanulás következett, kb. 2015–18 táján már jelentősen „összeállt, kitisztult bennem a kép”, rájöttem, világosan láttam, hogy
a testtartás és a fogsorérintkezés nem különválasztható. Ez úgy is megfogalmazható, hogy a fogsorérintkezés az egész test funkciója.
Ismereteinek az állandó bővítése, új eljárások, lehetőségek kidolgozása folyamatos inspirációt jelentett Önnek. A továbbiakban mely területek iránt fordult az érdeklődése?
A mindennapi munka során döbbenhetünk rá arra is, hogy a tanulási folyamatnak soha nincs vége. Sokat foglalkoztatott, mi az oka annak, hogy szinte nincs olyan gyermek, akinek ne lenne fogszabályozásra szüksége. Ez nem így volt régen! Miután én állandóan gondolkodó, kíváncsi ember vagyok, ez motivált, hogy utánajárjak, mi teszi így tönkre az emberek egészségét. Innen jött életembe az antropológiai kutatási vonal kb. két és fél évvel ezelőtt, még a Covid-járványt megelőzően. Többször eszembe jut munkám során Goethe mondása: „Csak azt látod, amit tudsz!” Ahogyan bővül a tudásunk tára, úgy jönnek a felismerések, az újabb kérdések. Így lett a legújabb érdeklődési köröm a paleopathológia, ennek a témának a kutatása, hogy hol és miként romlott el ennyire az egészségünk.
Az elmondottakon túl a fogorvoslás tudományában a kompozit iránti érdeklődésből nőtt ki a másik „szerelem-vonal”, a szálerősítés, a transzkoronális sínezés. Ez egy fog-megerősítési rendszer. Erről a témáról tavaly készítettünk egy publikációt dr. Fráter Márkkal, dr. David Alemannal és dr. Sáry Teklával közösen. Nagy meglepetésünkre a transzkoronálisan megerősített fogak (e technológia kialakítása eredetileg az én ötletem volt) témaköre azért lett izgalmas, mert ez az első szálerősítéses eljárás, amellyel erősebbé lehet tenni a fogakat az eredeti állapothoz viszonyítva.
Vannak egyéb, még nem publikált ötleteim is. Folyamatosan keresem az izgalmas, új lehetőségeket, a határterületeket és az új megoldásokat a fogászatban.
Ismereteinek rendszeres bővítése során azonban annak átadása is fontos lett. 1987-ben tartotta meg első tudományos előadását, amely a tömőanyagok kopásának scanning elektron-mikroszkópos vizsgálatáról szól. Milyen úton jutott e speciális szakterület alaposabb megismeréséhez?
1987-ben – a csernobili katasztrófa napján – Szombathelyen tartottam az első tudományos előadásomat. Egy barátommal, dr. Pados Róberttel végeztünk korábban közösen kísérleteket scanning elektron-mikroszkópokkal tömőanyagokon. Azt vizsgáltuk, hogy milyen a kopásállóságuk ezeknek, milyen lesz a felszínük a koptatás után. Ennek eredményeként kiderült, hogy a korábban lenézett csehszlovák kompozitok milyen értékes, közép-felső kategóriás anyagok.
Ekkor tudatosult bennem, hogy mekkora kincs, hogy már „szabad” ember, magánorvos is vagyok (1987), így eldönthetem, hogy milyen anyaggal dolgozom, milyen kísérleteket végzek.
Nagyon hamar magán-orvosi gyakorlatot is folytatott, illetve a rendszerváltást követően az első teljes állású magánfogorvos. Ez 1990-ben elég „merész” vállalkozás lehetett. Miért választotta ezt az utat?
Azért lettem magánorvos, mert az állami egészségbiztosításban nem láttam a jövőm, a szakmai fejlődésem útját. Pilisvörösvárra jártam ki naponta (édesanyám autójával), de az
ott kapott bért ki kellett egészíteni a megélhetés érdekében. Így dr. Felkai Tamás barátommal közösen béreltünk egy kis rendelőt, ahol magánorvosként dolgozhattunk. 1990. január elsejétől vált lehetővé, hogy valaki teljes állású magánorvos lehessen. Ennek a lehetőségnek még ekkor nem volt meg a jogi útja, sokan közreműködtek, barátok, jogászok, és alaposan utána kellett járni, ki kellett dolgozni ennek a jogi stb. hátterét. Végül, 1990. február elsején sikerült a tervem megvalósítása.
Az évek során számos előadást és gyakorlati kurzust vezetett Magyarországon és külföldön (Ausztria, Cseh Köztársaság, Horvátország, Liechtenstein, Mexikó, Németország, Románia, Szlovénia). Melyek voltak a legfontosabb témakörei?
Röviden összegezve: a direkt restaurációk és a szájhigiénia igen fontos kérdésköre! 1989 óta már van ezekben a témákban oktatás is nálunk. A megfelelő szájhigiénia érdekében végzett felvilágosítás és képzés azóta is a rendelőnk kiemelt feladatai közé tartozik.
Közben az előadások lassan elmaradtak, mert szerintem többet lehet tanulni a gyakorlati ismeretek átadása során. Ez került a munkám fókuszába. Egy előadásnak az a funkciója, hogy felhívja valamilyen problémára a figyelmet, de ezek megoldásához szükség van a gyakorlati ismeretekre. Így tevékenységem elsősorban a gyakorlati ismeretek átadására, a gyakorlati tanfolyamokra irányítom.
Előadásait – azok témájáért, kiváló felépítéséért – több alkalommal különböző díjakkal jutalmazták. Említene ezekből néhányat?
2005-ben az Ivoclar Dental Progress konferenciáján megkaptam a „Legjobban strukturált előadás” díját. Témám a lenyomatozás volt. Talán a legizgalmasabb, legérdekesebb számomra az, amikor 2006-ban a Bécsben tartott Dental Progress előadás-sorozatán – ahol 30 előadás hangzott el –, ezek közül nekem ítélték a „Legjobb előadás” díját.
Számtalan különleges fogászati eljárás meghonosítója, például a merevítő-rostos fogmegerősítésnek is. Arra kérem, sorolja fel a továbbiak közül azokat, melyeket igen fontosnak tart a napi munkák során.
Ilyen például a Ribbond merevítő-rostos fogmegerősítés, a miniatűr migrénterápiás harapásemelő sín, az egészséges arc- és fogívfejlődést szolgáló myofunkcionális trénerek és myobrace fogszabályozók, a Silensor horkolásgátló, vagy a META Safescraper és Micross csontkaparók bevezetése is. Behoztuk a funkcionális trénereket, mert annyi a probléma, a baj a légzéssel, a nyeléssel, a harapással, hogy ezzel nem lehet nem foglalkozni! Fontosnak tartom azt is, hogy meghonosítottam itthon egy német fogtechnikus – Erich Kopp – által kidolgozott horkolásgátló rendszereket. Tudjuk azonban, hogy a jó eszköz nem ér sokat jó képzés nélkül, ezért mindig prioritás volt számunkra, hogy ehhez kapcsolódóan mély és praktikus tudást adjunk át a tanfolyamainkon keresztül. Évente több száz hazai fogorvos tanul a kurzusainkon.
Az esztétikai munkafolyamatok szemléletének, illetve technológiájának a változása új fejlesztésekkel, folyamatos tanulással is jár. Megfelelő ösztönzést kapnak erre a fogorvosok a páciensek igényei, elvárásai alapján?
Részben, hiszen az újdonságok felderítése elsősorban nem a páciensek dolga, hanem azoké, akik készségszinten alkalmazzák a fogászati ismereteket, és ennek a tudásnak a birtokában megérzik egy-egy fejlesztés, újdonság előremutató mivoltát, jövőbeli hasznosságát. Itt látom cégünk szerepét is a hazai fogorvoslást illetően, hiszen közismerten nagyon nyitottak vagyunk, sőt keressük a friss gondolatokat, innovatív termékeket, amelyek könnyebbé, jobbá, biztonságosabbá teszik a munkánkat.
választani, ez mesterséges, művi dolog lenne. Az előadók kiválasztásánál kiemelt szempont, hogy rendkívül komplex, átfogó tudással és tapasztalattal rendelkezzenek. A fentieken kívül lényeges az is, hogy hatékonyan tudják átadni a tudásukat, a mondanivalójukat jól követhetően, érthetően közvetítsék.
Az elmúlt évek jelentős változást hoztak az esztétikai fogászat területén. Ma mi jellemzi a fejlődés irányait?
Tartalmi változások tanúi lehettünk az elmúlt években. A korábbi, csak az esztétikumot figyelembe vevő gondolkodás helyett egyre többen az átgondolt – esetenként a gyógyító társszakmák véleményét is kikérő – tervezés irányát választják. Példákat említve: a gnathológiai (állkapocsízület és az állkapocs mozgásaival, helyzetével, problémáival kapcsolatos) tudás elengedhetetlen a megfelelő okklúzió kialakításához. Mit ér egy szép fogmű, ha nem lehet együtt élni vele, mert olyan zavaró?
akik előadásaikkal, magas nívójú képeikkel egyre kedveltebbek, elismertebbek nem csak a fiatal orvosok körében.
Mennyire uralja már most e szakterületet az online/digitális technika? Gondolok itt a különböző szoftverek, valamint a digitális munkafolyamatok egyre szélesebb körű alkalmazására.
Úgy gondolom, egyre jobban. Ez mindenkinek érdeke, hisz a digitális lenyomatozás, a harapás digitális összeállítása a beszkennelt állcsontokkal és a számítógépes tervezés sok hibalehetőséget küszöbölne ki. Ha ehhez elviselhető árak is társulnak, robbanásszerű fejlődésre számítok. Azt gondolom, hogy a fejlődést nem lehet megállítani, és bár az alkotó szellemet nem lehet természetesen gépekkel helyettesíteni, minden arrafelé hat, hogy a különféle digitális technológiák még inkább átszövik a fogászat minden ágát. Az intraorális szkennerek, a CAD/CAM technológia, a 3D printing, a digitális artikulátorok további fejlődésével ezek a vívmányok –remélhetőleg – a rendelőkben egyre inkább elérhetőek lesznek, és rutinszerű alkalmazásuk még pontosabbá fogja tenni a mindennapi munkát. A digitális fogászatban különösen sok új lehetőséget láthatunk. A digitális technológiák évtizedek óta rendelkezésre állnak, de szakértelem és látásmód nélkül használhatatlanok, vagy egyszerűen nem érik meg a gazdasági befektetést. Szerintem ez a jövő útja!
A Dental World Nemzetközi Konferencia Esztétikai Kongresszusának évek óta a fő szervezője, házigazdája. Mi volt az évek során az elsődleges szempont a programok összeállításakor? Több újdonság, jövőbe mutató eljárás, vagy inkább a gyakorlatias, sokak által megtanulható módszerek, technikák megismertetése a hallgatósággal?
Évek óta és idén is olyan előadókat hívok, akik értik azt, amit mondanak, és ugyanakkor kiválóan végzik is azt. Az elmélet és a gyakorlat egyaránt fontos számukra, hiszen a jó gyakorlatot a helyesen alkalmazott elmélettől nem lehet külön-
Nagyon gyakran látom, tapasztalom, hogy a helytelen légzés, a nyelv rossz funkciói, a rossz szokások fogívszűkülethez vezetnek. A következmény: a hibás fogsorérintkezés, ami a megjelenő bruxizmus miatt nemegyszer indokolatlan garanciális munkákat eredményezhet. Ideje a funkciót és az esztétikumot a mindennapok szintjén is összekapcsolni, legyen szó akár protetikáról, akár fogszabályozásról.
A jövőben – a kialakult gazdasági helyzetben – szerintem jelentős mértékben a direkt restaurációk kerülnek majd előtérbe. De közben nem szabad figyelmen kívül hagyni a digitalizálást és a további fejlesztéseket, mert reményeink szerint bizonyos területeken ez költségcsökkenést is eredményezhet.
Mit tart legfontosabb céljának a jövőt illetően?
Amit elsősorban kiemelnék a céljaim közül az, hogy segítsek abban, hogy a fogorvosok és az általános orvosok is jobban megértsék, hogy a fogászat abszolút része a gyógyításnak, az orvoslásnak, nem lehet ezeket különválasztani. A magunk kényelmi szempontjai miatt osztottuk fel a medicinát diszciplinákra, de a beteg az egy szervezet, amelynek minden része hatással van a test egészére, s a test nagyon sokszor hatással van a munkánkra is. Interdiszciplináris szemléletre van szükség a jövőben!
Az egyik emberi értékemnek gondolom, hogy el tudok nagyon alaposan mélyedni egy problémában, nagyon mélyen, egészen a részletekig, de utána ki is tudok ebből emelkedni, és egészen magas perspektívából tudok ránézni az egész hivatásomra, és annak más orvosi szakterületekkel való kapcsolódására! A célom, hogy mindezek után láthassam tevékenységem eredményét a medicina egészében és a betegek egészségének az egészében is!
Ha sokirányú munkája mellett marad szabadideje, mivel tölti azt legszívesebben?
Régi szerelem a búvárkodás, az összegyűjtött tapasztalataimat szeretném most a gyermekeimnek átadni. Nagyon kedvelem a különböző művészeteket. Szenvedélyes komolyzene-hallgató és operakedvelő vagyok!
Nagyon köszönöm ezt a sok információt adó érdekes beszélgetést!
Úgy hiszem, az igényesség egyre inkább fontos elvárás, köszönhető az egyre több fiatal, igen tehetséges
2023. október 12., csütörtök
09.35–09.45 Dr. Gombos Ádám, Dr. Volom András: Megnyitó
09.45–12.30 Daniele Rondoni (Olaszország): A helyreállítás hosszú élettartama döntő kritérium a kezelési választásunkban?
12.30–14.00 Ebédszünet
14.00–15.30 Prof. dr. Marko Jakovac, Dragan Stolica (Horvátország): Digitális protokoll a minimálisan invazív fogászatban
15.30–17.30 Dr. Arthur Volker (Amerikai Egyesült Államok): Injection moulding és mátrixolási stratégiák a direkt anterior kompozitokhoz
2023. október 13., péntek
09.35–09.45 Dr. Gombos Ádám, Dr. Volom András: Megnyitó
09.45–11.45 Dr. Giedre Kobs (Litvánia): Az ember egészének kezelése okklúzión keresztül
11.45–12.45 Prof. dr. Mutlu Özcan (Svájc): Fogászati anyagok a helyreállító fogászatban: szubtraktív vagy additív?
12.45–14.15 Ebédszünet
14.15–16.00 Dr. Jordi Manauta (Olaszország): Kompozit restaurációk anterior és poszterior területeken
16.00–17.30 Dr. Andrea Franzo (Olaszország):
A RESTO-PROSTHETIC dilemma: hogyan változtatott meg mindent az adhézió?
2023.
09.50–10.00 Dr. Gombos Ádám, Dr. Volom András: Megnyitó
10.00–12.30 Dr. Marco Maiolino (Olaszország): A „repedt” fogak kódexének megfejtése
12.30–14.00 Ebédszünet
14.00–15.15 Dr. Salem Jusic (Bosznia-Hercegovina): Az anterior fogak különösen esztétikus kompozit restaurációi
15.15–16.30 Dr. Maciej Czerwiński (Lengyelország): Mérföldkövek a restauratív kezelésben
október 14., szombatDigitális Fogászati Kongresszus: 25 000 Ft (teljes ár: 50 000 Ft)
Prevenciós, Földvári Imre Kongresszus: 16 000 Ft (teljes ár: 28 000 Ft)
Praxismenedzsment Kongresszus: 16 000 Ft (teljes ár: 28 000 Ft)
Platina szponzor:
Vegye meg most kongresszusi jegyét a dentalworld.hu oldalon Ultra Early Bird 40% kedvezménnyel!*
*A kedvezmény 2023. május 31-ig érvényes
A mindennapi gyakorlatban gyakran találkozunk súlyos fogszuvasodással. A fogorvosnak mindig kihívást jelent a döntés, hogy kihúzzuk és implantátummal pótoljuk, vagy megmentjük a fogat, de kétséges a hosszú távú prognózis. Számos cikkből tudjuk, mint például Seltzer és Kim (Comparison of Long term survival of implant and endodontically treated teeth J Dent Res 93(1):19-26, 2014) cikke, hogy a fogak viszszanyerése jobb megoldás, különösen a fiatalabb betegeknél. A kirakós hiányzó kulcsa az általános fogorvos számára gyakran a maradó fogazat jó biomechanikai értékelése. Az endodontikusan kezelt fogak kudarcainak többsége valójában mechanikai hibákhoz, például repedéshez és töréshez kapcsolódik. A maradó fogszerkezet gondos biomechanikai értékelése, valamint a mechanikai teljesítményt javító technikákra való összpontosítás a legfontosabb a hosszú távú eredmény keresésében. A szerző praxisában a vertikális pre-
parálás és a minimális megközelítés kombinációja, valamint az ortodontikus extrúzió alkalmazása a restauratív fogászatban megváltoztatja a helyzetet, amint azt a következő eset is mutatja.
Az implantológia térhódítása után a restauratív/protetikai fogászatban a léc magasabbra került. A fogászati implantátumokkal való sikeresebb „versenyzéshez” a fogorvosoknak sokkal jobban kell összpontosítaniuk a fogak biomechanikai helyzetének értékelésére és javítására. A biomechanika mély megértése és a fogak teherbíró képességét javító technika alkalmazása a legfontosabb a hosszú távú siker érdekében.
A cikk szerzője e témában elődást tart a Dental World kiállításon az Esztétika Kongresszuson, 2023. október 14-én, szombaton. dentalworld.hu
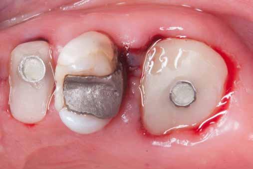
Egy 35 éves kaukázusi férfi páciens az 1.4-es fog (felső első premoláris) törése miatt kereste fel rendelőnket, a törés ferde volt. A sérült fogak helyreállítása során az egyik legfontosabb lépés a megmaradt fogazat biomechanikai értékelése . Egy hiba ebben a fázisban káros a hosszú távú eredményre . A legtöbb repedést például a fogüregek helyreállító fogászathoz való helytelen előkészítése okozza. Ugyanígy a fennmaradó szerkezet helytelen értékelése idővel mechanikai okokból bekövetkező meghibásodáshoz vezethet.
2. ábra: Az okkluzális nézet a fogszerkezet mennyiségét mutatja, a röntgenfelvételen az 1.5. fogon II. osztályú szuvasodás is látható. Még ha lehetséges is ezeket az eseteket koronahosszabbítással kezelni, a végeredmény átlagosan nem kielégítő. A ferrule gyógyulása korlátozott, és olyan parodontális szövődményekkel is találkozunk, mint a fekete háromszögek, a szomszédos fogak gyökérkitettsége. A fogszabályozó extrúzió sokkal előnyösebb.
4. ábra: A fogszerkezet helyreállítása és a fogrestaurációs komplexum ellenálló képességének javítása érdekében ortodontikus extrúziót végeztek a szomszédos fogakra ragasztott drót és egy egyszerű rugalmas ligatúra segítségével.
5. ábra: Az extrudálás nyomon követése néhány hét múlva. Az extrúzió végén a lágyrészek kisebb mértékű újrakontúrozása történt. A szerző általában fibrectomia nélkül végzi az extrúziót, és az extrúzió végén a lágyrészek újrakontúrozását végzi.
6. ábra: A fog az extrúzió és a függőleges preparálás után. A függőleges preparáció a legjobb preparátum a fog szerkezetének megőrzése szempontjából, különösen akkor, ha minimálisan invazív megközelítéssel alkalmazzák. A szerző egy módosított vertikális technikát alkalmaz, amely nagyobb hangsúlyt fektet a pericervikális dentin fenntartására.
7. ábra: A bukkális szerkezet összehasonlítása extrudálás előtt/után . A maradék fogazati struktúra okklusális terhelése most sokkal kedvezőbb a hosszú távú eredmény szempontjából .
8. ábra: Ideiglenes eltávolítás. 9. ábra: Még a szájpadlásfalon is volt fogazati struktúra-gyarapodás. A szájpadlásfal mintegy 35%-a már szilárd fogazati struktúrán van. Ez a jobb biomechanika miatt sokkal jobb eredményt tesz lehetővé a későbbi restauráció számára.
10. ábra: A cirkónium-dioxid korona cementálása üveg-ionomer cementtel . Ezzel a megközelítéssel nyilvánvaló, hogy a ferrule menynyisége a szomszédos fogakra gyakorolt bármilyen komplikáció nélkül nyert. A parodontális apparátus valójában érintetlen. Nincsenek fekete háromszögek, nincs a szomszédos fogak gyökérkitettségének kockázata. Már a szülés napján megvan a papilla, amely kitölti az intraproximális tereket. A nyert ferrule mennyisége hatalmas. A bukkális falon könnyen felismerhetjük, hogy az egész fal már szilárd fogazati struktúrán van, a palatális falon pedig az ajánlott 1-1,5 mm-nél jóval több. A függőleges preparálással szintén könnyen meg tudjuk tartani a visszanyert fogszerkezet mennyiségét , különösen a pericervikális dentin területén, ami a legfontosabb a hosszú távú eredmény szempontjából.
Az általunk alkalmazott adhezív rendszerek hatékonyságát
hogy a fogakat minimál invazív módon, azaz csak
kat kofferdám izolálásban ragasztjuk. Jelen esetismertetésünknek
hogyan lehet az adekvát módon kivitelezett kofferdám
vérrel vagy szulkusz-váladékkal
hatékonyságát nagymértékben növelhetjük azáltal, csak zománcon belül preparáljuk, és a kerámia héjaesetismertetésünknek az volt a célja, hogy bemutassuk, kofferdám izolálással megelőzni a munkaterület nyállal, szulkusz-váladékkal történő kontaminációját.
Dr. Carlos A. Jurado, dr. Nicholas G. Fischer, dr. Jose Villalobos-Tinoco (Egyesült Államok) dr. Mohammed E. Sayed (Szaúd-Arábia), dr. Akimasa Tsujimoto (Mexikó)
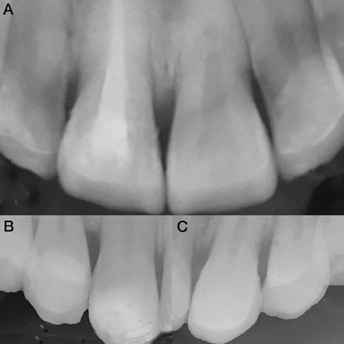
A szakirodalomban fellelhető eredmények alapján kerámia héjak ragasztására a kontaminációtól mentes, frissen vágott zománc felszín a legalkalmasabb. A hosszú távú sikeresség elérésének további feltétele a fogak konzervatív módon történő preparálása, továbbá a ragasztás kofferdám felhelyezésével biztosított, abszolút izolálásban történő kivitelezése. Úgy véljük, hogy a fenti faktorok biztosították a cikkben bemutatásra kerülő esetek – 5 évvel az átadás után megfigyelhető – sikerességét. A kofferdám izolálás alkalmazása számos előnyt biztosít a gyakorló fogorvos számára. Megakadályozza a munkaterület nyállal, vérrel, vagy szulkusz-váladékkal történő kontaminációját, és javítja a kezelendő területre való rálátásunkat. A fogak kerámia héjak ragasztása előtt történő izolálása azonban gyakran kihívást jelenthet a kevesebb klinikai tapasztalattal rendelkező fogorvosok számára. Jelen esetbemutatásban ismertetjük a kofferdám felhelyezésének lépéseit és néhány olyan gyakorlati tanácsot, amelyek jelentősen megkönnyíthetik a munkánkat, azokban az esetekben, amikor a második kisőrlőfogak közti területet kívánjuk kofferdám segítségével izolálni. A kofferdám kapcsok segítségével került rögzítésre, majd fogakat körülvevő széleit óvatosan az ínybarázdába forgattuk. A kerámia héjak számára előkészített fogakra ragasztás előtt egyenként kapcsokat helyeztünk annak érdekében, hogy a kerámia héjak rögzítése ideális körülmények között történhessen. A lépések részletes ismertetése segítséget jelenthet – a kevesebb klinikai tapasztalattal rendelkező fogorvosok számára – az abszolút izolálás megvalósításához szükséges lágyrészmenedzsment megértéséhez. Ezek az ismeretek rendkívül hasznosak lehetnek, ha a jövőben a kerámia héjak ragasztását megfelelő módon megvalósított kofferdám izolálás mellett kívánják kivitelezni. A cikkben ismertetett módszerek alkalmazásával az abszolút izolálás megvalósítható, a gumilepedő – vérzés nélkül – ínybarázdába történő beforgatására, és a ragasztáshoz szükséges idő csökkentésére.
Kulcsszavak: fogászat, izoláció, kofferdám, adhezív rögzítés, esztétika, kerámia héjak.
A kofferdám egy a munkaterület izolálására alkalmas eszköz, amelyet a restauratív és az endodonciai beavatkozások során széleskörűen alkalmaznak (1). Az eljárás kritikusai rendszeresen azzal érvelnek, hogy az eszköz felhelyezése időigényes (2), és használata pluszköltségeket ró a rendelőre.
A kofferdám egyértelműen hozzájárul az antiszepszis biztosításához, a munkaterület szárazon tartásához, valamint a páciens ellátása során alkalmazott vagy felszabaduló anyagok belégzésének és lenyelésének megakadályozásához (3).
A klinikai gyakorlatban elsőként 1869-ben dr. Sanford Christie Barnum használt egy vékony gumidarabot a fogak izolálására (4). Az izolálás mindkét irányban megakadályozza a folyadékok szivárgását (5), teljes mértékben elválasztja a munkaterületet a szájüregtől és fordítva. Mindössze három év kellett ahhoz, hogy a szakirodalomban beszámoljanak a kofferdám használatának széles körű elterjedéséről (6, 7). A szívókészülékek és az ezüstamalgám megjelenésével a 20. század elején jelentősen visszaszorult a használata. Helyette vatta-rolnik és az alkohol használatát javasolták alternatív megoldásként (7). Annak ellenére, hogy rendszeresen megpróbálják a fogorvos-társadalom figyelmét felhívni a kofferdám használatának fontosságára, a legtöbb gyakorló fogorvos mégis a rendelő lehető leghatékonyabb működését és a financiális szempontokat helyezi előtérbe (8).
Az évek során többen is vizsgálták a kofferdám használatának mellőzéséhez vezető okokat, és igyekeztek olyan változtatásokat eszközölni, amelyek a szélesebb körű alkalmazását eredményezhetik (9, 10). Azt találták, hogy a fogorvosok általában azért nem használják, mert úgy vélik, hogy felhelyezése fárasztó, kihívásokat rejt magában, sok időt vesz igénybe, és a páciensek pedig nehezen viselik el. Jelenleg úgy tűnik, hogy a kofferdám használatának mellőzésére szóló érvek továbbra is szilárdan tartják magukat annak ellenére, hogy nem találunk olyan kurrens szakirodalmi publikációkat, amelyek ezeket megfelelően alátámasztanák (11, 12).
A kerámia restaurátumok kofferdám izolálásban történő ragasztásának célja, hogy megakadályozzuk a ragasztandó felületek kontaminációját, és javítsuk a kerámia és a fog felüle-
te között kialakuló kapcsolat minőségét. Sajnos jelenleg nem érhetőek el azok a közlemények, amelyekben leírnák, hogy miként lehetne a fogak teljes izolálását a lágyrészek megsértése nélkül elérni. Jelen közleménynek az a célja, hogy hasznos gyakorlati tanácsokat adjunk, és konkrét példákat mutassunk a front régió kerámia héjakkal történő ellátása érdekében alkalmazott kofferdám felhelyezésével kapcsolatban. A leírt módszerek helyes alkalmazásával a gyakorló fogorvosok sokkal jobb izolálást érhetnek el, képesek lesznek a gumilepedőt anélkül az ínybarázdába forgatni, hogy közben vérzés lépne fel, és emellett a pótlások adhezív rögzítését is sokkal rövidebb idő alatt tudják majd megvalósítani.
A kofferdám izolálás felhelyezése egy nagyon jól meghatározott lépésekből álló folyamat. A fogorvosnak tisztában kell lenni azzal, hogy lehet a lágyrészeket finoman manipulálni az applikálás során, mivel csak így érhető el a tökéletesen izolált munkaterület. A kapcsok nem megfelelő módon történő felhelyezése ínyvérzés kialakulásához vezet, amely a ragasztás szempontjából rendkívül kedvezőtlen helyzetet teremthet.
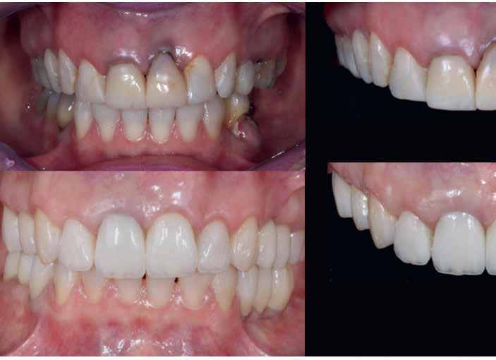
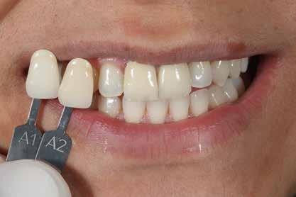
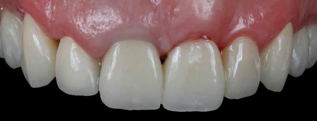
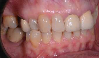
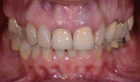
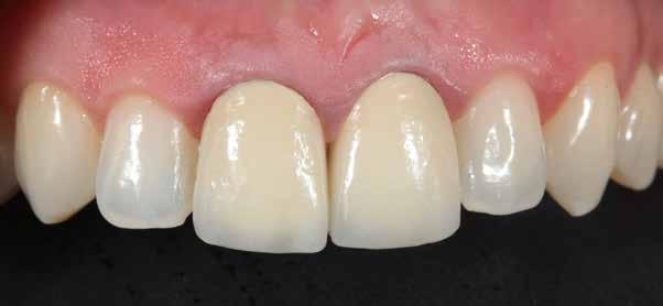
A rendelésünkön egy 34 éves latin-amerikai nőbeteg azzal a panasszal jelentkezett, hogy a fogait „túl rövidnek” találja, és ezen felül a mosolyával sem volt megelégedve. Az anamnézisfelvétel alapján egészséges volt, elmondása szerint rendszeresen járt orvoshoz. Öt évvel korábban néhány hátsó fogát restaurálták. Páciensünk szájhigiénéje megfelelő volt,
a fogait rendszeresen ápolta. House klasszifikációja szerint, amely a pácienseket a fogászati kezelésekhez való attitűdjük szerint négy csoportba sorolja, a páciensünk a szabálykövető csoportba tartozott.
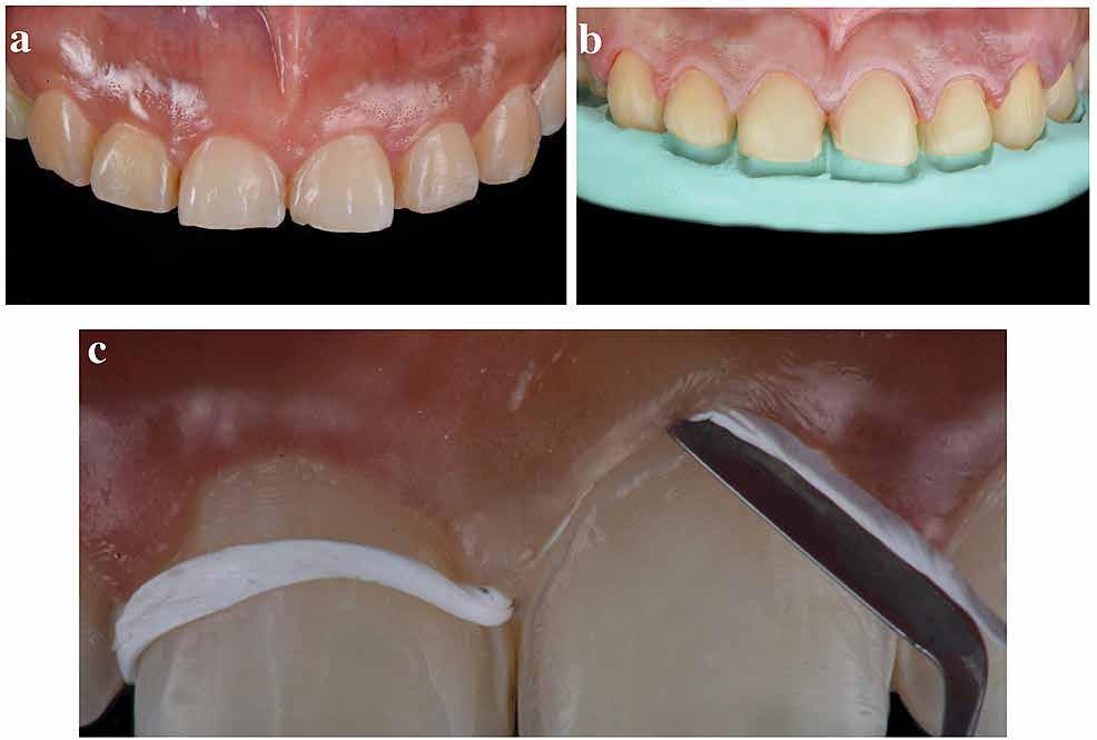
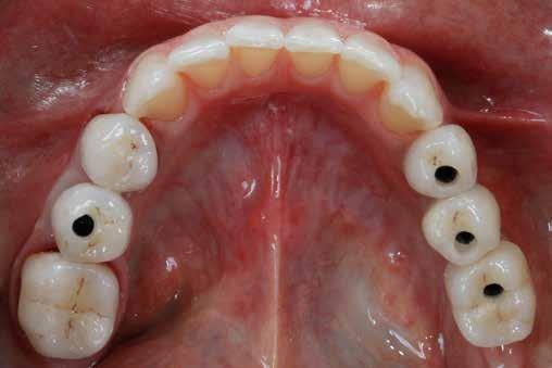
Az előzetes állapotfelmérést és a kezelés megtervezését követően a fogakat minimál invazív módon preparáltuk (1. a-b ábrák), majd az előkészített fogak ínybarázdáiba fonalbehelyező eszköz segítségével (113 Serrated Gingival Cord Packer, Hu-Friedy, Chicago, Illinois) teflonszalagot helyeztünk (Loctite Thread Seal Tape, Henkel Loctite Corp., Egyesült Államok), (1. c ábra). A hagyományos retrakciós fonalak helyett, a rugalmasságuk miatt előnyösebbnek tartjuk a teflonszalagok használatát. A kofferdámot (Dental Dam, Nic Tone, Bukarest, Románia) az előkészített fogakon kívül, az azoktól disztálisan elhelyezkedő egy-egy fognak megfelelően is perforáltuk.
Mivel a felső fogív első kisőrlőfogtól ellenoldali első kisőrlőfogig terjedő részét terveztük kerámia héjak segítségével ellátni (14-24), ezért az izolálást ugyanezen fogív második kisőrlőfogtól második kisőrlőfogig terjedő részére (15-25) helyeztük fel (2. a ábra). A kofferdám rögzítését a második kisőrlőfogakra helyezett kapcsok segítségével (Rubber Dam Clamps #2, Hu-Friedy, Chicago, Illinois, Egyesült Államok) biztosítottuk (2. b ábra). Ezt követően a gumilepedő fogakat körülvevő szélét kézi fonalbehelyező eszközzel és finom levegőáramlattal az ínybarázdákba forgattuk. A folyamat a következőképpen zajlott: a kézi eszközzel a kofferdámot a fognyaknak megfelelően finoman a szulkusz irányába fordítjuk, majd az eszköz végét a fognyaknak megfelelően vezetjük, miközben a lepedőt a puszterből jövő levegő segítsé-
A gumilepedő és a kiválasztott kapcsok (A). A kisőrlőfogakra helyezett kapcsok stabilizálják a kofferdámot (B). A gumilepedő ínybarázdákba történő beforgatása fonalbehelyező eszköz és levegőáramlat segítségével (C). Közvetlenül a héjak felhelyezése előtt a frontfogakra helyezett kapcsok (D).
ábra: A kapcsok eltávolítása és a kismetszőfogakra készült héjak beragasztása. A kapcsok nagymetszőfogakról történő eltávolítása (A). A kapcsok eltávolítása után látható állapot (B). A nagymetszőfogak és a szemfogak teflonszalaggal történő izolálása (C). A kismetszőfogak ínykapcsokkal történő kiegészítő izolálása (D). A héjak átadása után látható állapot (E).
gével finoman az ínybarázdába fordítjuk (2. c ábra). Azokra a fogakra, amelyekre aktuálisan héjakat akartunk helyezni, ezen felül kiegészítő kapcsokat is helyeztünk (Hygenic Brinker Clamp #B4, Coltene/Whaledent Inc., Cuyahoga Falls, Ohio, Egyesült Államok), (2. d ábra) Ebben a stádiumban érdemes a héjakat még bármilyen ragasztóanyag vagy próbapaszta nélkül a helyükre illeszteni (dry tryin). Erre azért volt szükség, hogy még a tényleges ragasztási folyamat megkezdése előtt ellenőrizni tudjuk a restaurátum és a fog pontos illeszkedését, valamint a széli záródási vonalhoz való akadálytalan hozzáférést (3. a ábra). Ideális esetben a héjak felhelyezését párosával, a középvonaltól disztál felé haladva végezzük. Ennek megfelelően a jobb (1.1) és bal felső nagymetszőfogakra (2.1) kapcsokat helyeztünk, majd a szomszédos fogakat teflonszalag segítségével izoláltuk. Ezt követően az 1.1-es és 2.1-es fogak héjak elhorgonyzására szolgáló felszíneit 32%os foszforsavval (Uni-Etch w/BAC, Bisco Dental, Schaumburg, Illinois, Egyesült Államok) 30 másodpercen keresztül kondicionáltuk. Ez után a felszínek vízzel történő lemosása és óvatosan
leszárítása következett (3. b ábra). A fogfelszínek előkészítésének utolsó lépéseként a primert és az adhezívet (OptiBond FL, Kerr Dental Orange, Kalifornia, Egyesült Államok) a gyártói javaslatnak megfelelően a felszínekre applikáltuk, majd 20 másodpercen keresztül polimerizációs lámpával világítottuk (Valo LED Curing Light, Ultradent Products Inc., South Jordan, Utah). Az 1.1-es és 2.1-es fogakat borító héjak ragasztása során világos színű, fényre kötő ragasztócementet (Variolink Esthetic LC, Ivoclar Vivadent, Schaan, Liechtenstein) alkalmaztunk. A ragasztóanyagot először a héjak belső felszínére vittük fel, majd ezeket az előkészített fogfelszínekre helyeztük (3. c ábra). Az approximális felszíneken megjelenő cementfelesleget egy ecset (Profi Natural Bristle Brush, Renfert, Hilzingen, Németország) és fogselyem (Oral-B Glide Pro-Health Deep Clean Floss, Procter & Gamble, Cincinnati, Ohio, Egyesült Államok) segítségével még a ragasztóanyag megvilágítása előtt eltávolítottuk. A megvilágítás során a különböző fogfelszíneket (labiális, meziális, disztális és incizális) 20-20 másodpercen keresztül világítottuk meg (3. d ábra)
Ezt követően a felső nagymetszőkre helyezett kapcsokat
5. ábra: A cementfelesleg eltávolítása. A cementfelesleg fognyakról történő eltávolítása (A). A cementfelesleg approximális területekről történő eltávolítása (B). A cementfelesleg penge használatával történő eltávolítása (C).
egy kapocsfeszítő (4 Rubber Dam Clamp Forceps, Hu-Friedy, Chicago, Illinois, Egyesült Államok) segítségével eltávolítottuk (4. a-b ábrák). Ezután a kismetszőfogak előkészítése következett. Még a kapcsok felhelyezése előtt a szomszédos fogakat, azaz a jobb és bal felső szemfogat, valamint a felső nagymetszőfogakat (1.3, 1.1, 2.1, 2.3) teflonszalaggal izoláltuk (4.c. ábra). Ezután a korábban részletezett ragasztási protokollt követve a kismetszőfogakra készített héjakat beragasztottuk. Ezt a folyamatot a felső szemfogak, és végül az első kisőrlőfogak esetében is megismételtük (4. d-e. ábrák)
A fognyaki területen és a fogközökben megjelenő cementfelesleget egy speciális kézi kürett (LM-Arte Eccesso, Planmeca, Helsinki, Finnország), approximális polírszalag és egy #12-es szikepenge (Surgical Scalpel Blade No. 12., Salvin Dental Specialties, Charlotte, Észak-Karolina, Egyesült Államok) segítségével távolítottuk el (5. a–c. ábrák)
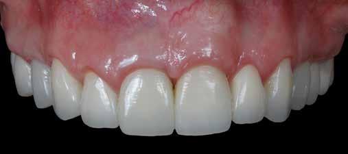
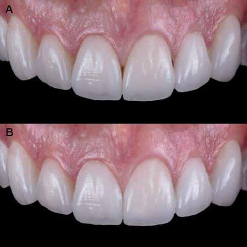
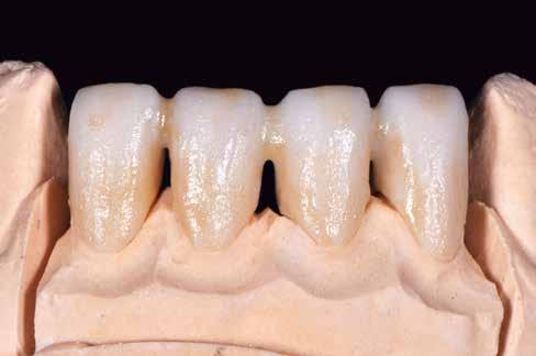
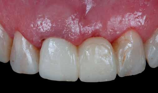
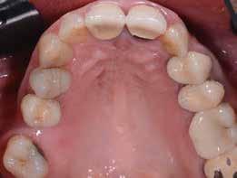
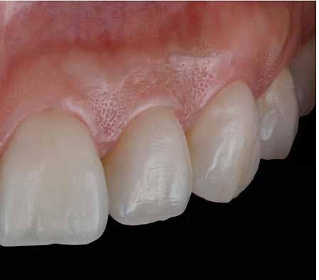
Az oxigén inhibíciós réteg kialakulásának elkerülése érdekében a kerámiafelszíneket glicerin géllel (Liquid Strip, Ivoclar Vivadent, Schaan, Liechtenstein) borítottuk, majd ezeket a felszíneket ismét 20-20 másodpercen keresztül világítottuk. A végeredmény megfelelt a páciens esztétikai igényeinek (6. a. ábra). Az átadott restaurátumok épségének megőrzése érdekében, a páciens számára éjszakai fogvédő sín készült. Az ötéves kontroll alkalmával megállapítottuk, hogy az elvégzett kezelésünk továbbra is sikeresnek tekinthető (6. b. ábra)
Bár a kofferdám izolálás használatának szükségességéről megoszlanak a vélemények, azt egyértelműen kijelenthetjük, hogy adhezív ragasztási technikák magas színvonalon történő alkalmazásához nélkülözhetetlenek. Egy, a Cochrane Library adatbázisának áttekintésén alapuló, 2016-ban megjelent közlemény szerzői azt találták, hogy a kofferdám izolálásban készített direkt restaurátumok sikertelenségi aránya alacsonyabb volt (8). A szerzők további, jobban paraméterezett vizsgálatok elvégzését javasolták a még pontosabb eredmények elérése érdekében. A szakirodalomban valóban nem található olyan tanulmány, amelyben a kofferdám alkalmazásának és a kerámia héjak ragasztásának hosszú távú sikeressége közötti összefüggéseket vizsgálnák. Véleményünk szerint is további vizsgálatok szükségesek ebben a témában. Összességében elmondható, hogy a kofferdám használata biztosítja a légutak védelmét, csökkenti az aeroszolok terjedését, aszeptikus munkaterületet biztosít és számunkra legfontosabb előnye, hogy megvédi az adhezív ragasztásra szolgáló felszíneket a nyállal való kontaminációtól (1). Bár a kofferdámok alkalmazását számos fogorvosi társaság és egyesület ajánlja, sajnos csupán a fogorvosok kis hányada használja őket rendszeresen munkája során (13, 14). A használatukat mellőző fogorvosok legtöbbször a felhelyezés időigényességét kifogásolják. Azonban vizsgálatok kimutatták, hogy a kofferdám felhelyezése átlagosan mindössze 1-2 percet vesz igénybe (2). Ebből következik, hogy felhelyezése és eltávolítása – utóbbi általában 10-15 másodpercig tart – nem növeli meg jelentősen a kezeléshez szükséges időt (15, 16). További ellenérvük, hogy a kofferdám a páciensek komfortérzetét negatívan befolyásolja, miközben számos vizsgálat kimutatta, hogy a páciensek komfortérzete a kofferdámban végzett kezelések esetén magasabb volt, mint azokban az esetekben, amikor mellőzték a használatát (11, 12). A vizsgálatokban megfigyelt tényezők – mint az életkor, a nem vagy korábbi fogászati kezelés során felhelyezett kofferdámmal kapcsolatos tapasztalatok – közül egyik sem volt statisztikailag szignifikáns hatással a páciensek kényelmére.
A kezelőorvosok számára fontos ismerni, hogy az általuk használt kofferdám gumilepedő milyen anyagból készült, hiszen a páciensek többféle anyagra is allergiásak lehetnek, és ezek közül a latexallergia nem ritka jelenség. A latexallergia leggyakoribb tünetei közé tartoznak az alábbi bőrtünetek: viszketés, bőrpír, kiütések vagy csalánkiütés, továbbá az orr, a torok és a szemek viszketése, hányinger, gyomorgörcsök vagy akár a nehézlégzés. Bár a legtöbbször a tünetek a kiváltó tényezővel történő találkozás után néhány percen belül jelentkeznek, bizonyos bőrreakciók megjelenéséig akár 2448 óra is eltelhet (17). Az allergiás reakció hatására anafilaxiás shock is kialakulhat. Ez egy súlyos, akár életet veszélyeztető tünetegyüttes, amely során a páciens hirtelen bekövetkező vérnyomásesése is bekövetkezhet. Az anamnézisfelvétel során a fogorvosnak kötelessége a beteget alaposan kikérdezni, különös tekintettel arra, hogy ismert-e bármilyen allergia, túlérzékenység. Ha felmerül a latexallergia lehetősége, ajánlott a beteget előzetes allergiavizsgálatra irányítani.
A kofferdám izolálás helytelen kivitelezése esetén a fognyak mellett szivárgás alakulhat ki. Ehhez számtalan különböző ok vezethet: nem megfelelő méretű perforációs nyílást
alakítottunk ki az egyes izolálandó fogak számára, túl kicsi vagy túl nagy a távolság a perforációs nyílások között, nem megfelelő volt a kapocsválasztás, vagy helytelen módon történt a gumilepedő ínybarázdába forgatása. Mindig érdemes kiemelt figyelmet fordítani az adott fognak megfelelő méretű perforációs nyílás kialakítására, valamint a nyílások között megfelelő méretű távolság biztosítására. A nyílásokat kb. 6 mm távolságra érdemes egymástól kialakítani. Ha túl nagyméretű perforációt alakítunk ki, akkor a fognyaknak megfelelően szivárgás léphet fel. Ha pedig a perforációs nyílások túl közel kerülnek egymáshoz, akkor nem lesz elegendő mennyiségű anyag a fogak között található interdentális tér beborításához, illetve a lepedő beforgatásához. Az utóbbi probléma akkor is felléphet, ha a perforációs nyílások mérete a szükségesnél kisebb, ilyenkor a fogak körül a lepedő megfeszülhet és elszakadhat.
Ha egy kis darab fogselymet a fognyak köré helyezünk, majd a szabad végeit a fog labiális felszínének megfelelően keresztezzük, ott megkötjük, és ezután óvatosan az ínybarázdába vezetjük, akkor jelentősen elő tudjuk segíteni a lepedő beforgatásának rögzítettségét. Ezt egyébként a teljes munkaterületnek megfelelően ajánlott elvégezni. Az említett lépések során a lágyrészek manipulálása kellemetlenségekkel járhat a páciens számára, tehát ezt érdemes helyi érzéstelenítés alkalmazásával megelőzni. Jelen esetben a hagyományos retrakciós fonalak helyett teflonszalagot használtunk, mivel az sokkal rugalmasabb, és a vastagságát is tetszőlegesen alakíthatjuk. A teflonszalag mára a fogorvosi rendelők egyik szinte nélkülözhetetlen elemévé vált (18).
Sok fogorvos számára ismeretlen az a tény, hogy léteznek az íny eltartására szolgáló speciális kapcsok. Ezeket az V. osztályú üregek ellátásakor, valamint – ahogy az ábrákon látható – a kerámia héjak ragasztásakor is rendkívül jól lehet hasznosítani. A tompa kialakításuknak köszönhetően nem sértik meg a lágyrészeket az ínybarázdába helyezésük során. Más típusú kofferdám kapcsokat is megpróbálhatunk alkalmazni a fogak izolálása során, de a kialakítása nem feltétlenül teszi lehetővé a lágyrészek megfelelő eltartását, és a felhelyezésük során az ínyt is roncsolhatjuk.
Amennyiben a kerámia héjak ragasztása előtt kofferdám izolálást kívánunk felhelyezni, akkor olyan nem kívánt szövődmények kialakulására is számítanunk kell, mint például a lágyrészek megsértése vagy az ínyvérzés kialakulása. Ezekben az esetekben mindenképpen szükség van a gumilepedő óvatos ínybarázdába történő beforgatására, és a kofferdám rögzítéséhez szükséges ideális kapcsok kiválasztására. A cikkben említett lépések alkalmazása senki számára sem okozhat nehézségeket, ellenben segítségükkel biztosítani lehet a gyors és hatékony kofferdám felhelyezést. Összefoglalásként elmondhatjuk, hogy kerámia héjak ragasztásának előkészítése során a gumilepedőt mindig az adott fogak átmérőjének megfelelő perforációs nyílásokkal kell ellátni, az izolálást a második kisőrlőfogtól az ellenoldali második kisőrlőfogig kell felhelyezni, majd ezekhez a fogakhoz kapcsokkal rögzíteni. Ezt követően a lepedőt óvatosan az ínybarázdába kell forgatni, és azoknál a fogaknál, amelyekre aktuálisan a kerámia héjakat fel akarjuk helyezni, további speciális ínykapcsok segítségével kiegészítő retrakciót
kell biztosítani. Természetesen a restaurátumok ragasztása abszolút izolálás nélkül történő ragasztására is van lehetőség, azonban ilyenkor azt is szem előtt kell tartani, hogy a legkisebb mértékű kontamináció is jelentős mértékben veszélyeztetheti az adhezív rendszerek hatékonyságát.
Az általunk alkalmazott adhezív rendszerek hatékonyságát nagymértékben növelhetjük azáltal, hogy a fogakat minimál invazív módon, azaz csak zománcon belül preparáljuk, és a kerámia héjakat kofferdám izolálásban ragasztjuk. Jelen esetismertetésünknek az volt a célja, hogy bemutassuk, hogyan lehet az adekvát módon kivitelezett kofferdám izolálással megelőzni
a munkaterület nyállal, vérrel vagy szulkusz-váladékkal történő kontaminációját. A megfelelő méretben kialakított perforációs nyílások és köztük lévő optimális távolság elengedhetetlen ahhoz, hogy a kofferdámot ideális módon tudjuk felhelyezni. Ezzel az esettel azt is bizonyítjuk, hogy a gumilepedő levegőfújással, fogselyemmel és teflonszalagok segítségével történő beforgatásával az ínyvérzés kialakulását el lehet kerülni. Ismételten szeretnénk hangsúlyozni, hogy a megfelelő kofferdám kapcsok használata nélkül nem tudtuk volna a preparált csonkszélt a gumilepedő szélétől eltartani. A kezelés során elért eredményeket jól alátámasztotta, hogy a páciens az ötéves kontroll vizsgálat során teljesen elégedett volt.
(A cikk megírása során felhasznált szakirodalmi hivatkozások jegyzéke elérhető a szerkesztőségünkben.)
Forrás: Cureus 2021, 13(12):e20748 (eCollection)
Dr. A. Tsujimoto, dr. C. A. Jurado, dr. J. Villalobos-Tinoco, N. G. Fischer PhD, dr. S. Alresayes, R. A. Sanchez-Hernandez (fogtechnikus), dr. H. Watanabe, dr. F. Garcia-Godoy (Egyesült Államok, Mexikó, Szaúd-Arábia)
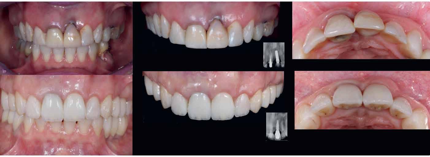
Egy elszíneződött fog kezelésének lehetőségei
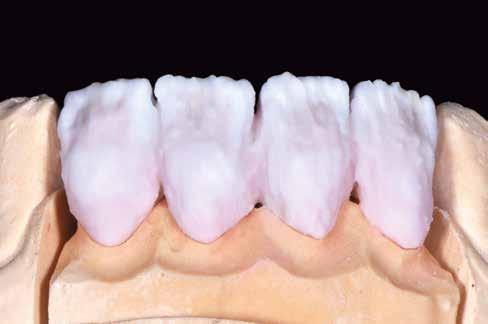
A front régióban alkalmazott minimál invazív multidiszciplináris megközelítés eredményeként jelentős mértékben tudtuk javítani a páciens esztétikai megjelenését. A beavatkozások során japán washi papír felhasználásával történő belső fogfehérítést, valamint háromdimenziós nyomtatással készült sebészeti sablon által vezetett ínyplasztikát végeztünk, majd az esztétikai zónában lévő fogakat – köztük egy elszíneződött nagymetsző fogat – ultravékony földpátkerámia héjakkal láttuk el.
A páciens elsősorban a mosolyának megjelenésén szeretett volna javítani. Egy előzetes állapotfelmérést követően az elszíneződött fog belső fehérítését, ínyplasztikát, valamint a felső front- és első kisőrlőfogak esztétikai célú helyreállítását javasoltuk. A belső fogfehérítés során nátrium-perborát és 30%-os hidrogén-peroxid keverékével átitatott washi papírt alkalmaztunk. Az anyag pulpakamrába történő helyezését követően az üreget üvegionomer cementtel zártuk. A fogfehérítés befejezését követően 3D nyomtatott sebészi sablont készítettünk, majd a felső front régióban megfigyelhető lágyrészek lefutását ezen sablon segítségével korrigáltuk. A sebészi beavatkozást követően 6 hónappal ultravékony földpátkerámia héjakat készítettünk.
Napjainkban a páciensek magas esztétikai tudatossággal és igényekkel ülnek be a fogorvosi székbe.1 A páciensek elvárásai különösképpen a felső front-régió helyreállítása során okozhatnak komoly kihívásokat.2 A komplex esetek ellátása során az optimális esztétikai végeredmény elérése érdekében sokszor szükség van interdiszciplinális megközelítés alkalmazására. Ezekben az esetekben a parodontológusok és az esztétikai fogorvosok együttműködésének eredményeként – a sikeres restauratív beavatkozások mellett – a fogakat körülvevő lágyrészek egészsége, valamint az íny lefutásának és színének harmonikus megjelenése is biztosítható.3 A magas esztétikai igények
kielégítése érdekében számos korszerű módszer áll rendelkezésünkre. Ezek közé tartozik a fogfehérítés4, a mucogingivális sebészet5, valamint a kerámia héjak készítése6 Jelenleg is számos, olyan esettanulmány áll rendelkezésünkre, amelyekben a legkorszerűbb kezelési módszerek együttes – az úgynevezett multidiszciplináris megközelítés részeként – történő alkalmazásáról számoltak be, és ennek eredményeként kiemelkedő esztétikai végeredményt sikerült elérni7. Ennek ellenére azonban még mindig van lehetőség az ellátási protokollok további finomítására. Az ellátás színvonalát a felhasznált anyagok anyagtani tulajdonságainak fejlesztésével és az új eljárások beemelésével tovább tudjuk emelni.
A front régió esztétikai helyreállítása számos kihívást tartogathat8, kiváltképp, ha ezt egy elszíneződött fog kezelése is nehezíti. A kezelés kivitelezését tovább bonyolítja, ha a fog belső fehérítését, mucogingivális sebészi beavatkozások végzését és kerámia héjak készítését is tervezzük. A belső fogfehérítés következtében a kezelt fog szerkezete meggyengülhet9, valamint az alkalmazott anyag citotoxikus hatása kedvezőtlen lehet a parodontális szövetek egészsége szempontjából. Az előbbiek megfelelő módon alátámasztják az igényt, amely a minimál invazív, a fogakat és az azokat körülvevő szöveteket a lehető legkisebb mértékben károsító, illetve mindezek mellett hatékony fogfehérítési eljárások kifejlesztésének irányába mutatkozik. Az íny lefutása és morfológiája kiemelt szerepet játszik a felső front-régió esztétikájának meghatározása során11. Az elhalt és elszíneződött fogak körül található lágyrészek lefutása idővel szabálytalanná válhat, és ezekben az esetekben a megfelelő esztétika kialakítása csak ínyplasztika elvégzését követően
válik lehetővé. Mivel ezek a fogak nem vitálisak, a fogat alkotó keményszövetek gyengébbek lehetnek, mint azt egy „élő” fog esetében tapasztalnánk12. Végezetül kiemelnénk, hogy a héjak készítése során – főként a rendkívül vékony héjak esetében – fontos figyelembe venni a héj rögzítésére szolgáló fogak színét és szerkezeti integritását13. A fenti követelményeknek nem könnyű eleget tenni. Az előbbiekben leírtak tovább erősítik a minimál invazív technikák alkalmazásának a létjogosultságát. Egy, a minimál invazív megközelítés alkalmazása mellett szóló további szempont lehet a páciensek olyan igénye, amely a vitális vagy gyökérkezelt fogakból történő, túlzott anyagelvétel lehetőség szerinti elkerülésére törekszik. A fentiekben felsorolt szempontok alapján kijelenthetjük, hogy jelentős igény van azokra a minimál invazív fog-előkészítési technikákra, amelyek lehetővé teszik a lehető legtöbb saját foganyag megőrzését. Jelen esetismertetésben az esztétikai zóna minimál invazív megközelítéssel történő esztétikai rehabilitációját szeretnénk bemutatni. A kezelés során tradicionális japán washi papír felhasználásával történő belső fogfehérítést, valamint 3D nyomtatóval készült sebészi sablon által vezetett ínyplasztikát végeztünk, és végül a fogakat ultravékony földpátkerámia héjakkal láttuk el.
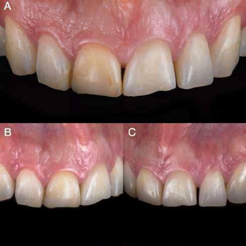
A rendelésünkön jelentkező 40 éves nőbeteg a mosolyának esztétikai megjelenésén szeretett volna javítani (1. ábra)
A vizsgálat során a jobb felső első kisőrlőfog (1,4) és a bal felső első kisőrlőfog (2.4), valamint a köztük elhelyezkedő fogak kifejezett mértékű kopását észleltük (14-24). Ezen felül a felső metszőfogak (1.2–2.2) élei egyenetlen lefutással rendelkeztek, és a jobb felső nagymetszőfog (11) – amelyet korábban gyökérkezeltek és kompozit töméssel láttak el –jelentős színbeli eltérést mutatott. Az 1.4-es és 2.4-es fo-
A belső fogfehérítés utáni állapot.
gak között mért tasakmélység mértéke sehol sem haladta meg a 3 mm-t. A páciens számára belső fogfehérítést, ínyplasztikát és kerámia héjak készítését javasoltuk. A páciens a felajánlott kezelési tervet elfogadta. Első lépésként az 1.1es fog belső fogfehérítését terveztük, mivel a későbbiekben ezt a fogat is kerámia héjjal akartuk ellátni.
A korábban készített kompozit tömés eltávolítása (Round #2, Patterson Dental Co, 1031 Mendota Heights Road, Saint Paul, Minnesota, 55120, Egyesült Államok) kofferdám izolálásban történt (Nic Tone Dental Dam, MDC Dental, Guadalajara, Jalisco, Mexikó) (2. ábra). A tömés eltávolítása során a pulpa-szarvaknak megfelelő területet is feltártuk. Erre a fehérítés során elérhető legoptimálisabb végeredmény biztosítása érdekében volt szükség. A gyökértömés visszafúrását követően a gyökércsatornát lezáró guttaperchára (GP) egy vékony réteg (1 mm) üvegionomer cementet (GC Fuji IX GP, Tokió, Japán) helyeztünk annak érdekében, hogy a parodontális ligamentumok védelme a fehérítő anyag citotoxikus hatásaival szemben biztosított legyen. A cement kötése érdekében 8 percet vártunk, majd nátrium-perborát és 30%-os hidrogén-peroxid keverékét washi papírba (Washi Arts, Blaine, Washington, Egyesült Államok) csomagoltuk, és azt az üregbe helyeztük (3. és 4. ábrák) Végezetül a zománcszéleket foszforsavval kondicionáltuk, és az üreget üvegionomer cement segítségével lezártuk. A pácienst két héttel később hívtuk vissza kontrollra és a fehérítő anyag kicserélésére. Ezt a lépést 2 hét múlva megismételtük. Ebben az időpontban a fog színbeli eltérése már nem volt észlelhető. A kérdéses fog színe jelentősen kedvezőbbé vált. Az üreg végleges lezárása során szendvics technikát alkalmaztunk. A tömés elkészítéséhez hagyományos üvegionomer cementet (GC Fuji IX GP) és folyékony kompozitot (G-ænial Universal Flow, GC) használtunk. Az üvegionomer cement kötését követően a cementet 1 mm mélységig visszafúrtuk, majd foszforsavas kondicionálást követően ezt a sekély üreget univerzális bonddal fedtük, és
3. ábra: A fehérítő anyagok összekeverése és washi papírba történő csomagolása. (A): Az anyagok összekeverése. (B): A keverék washi papírra történő helyezése. (C): A keverék washi papírba történő becsomagolása. (D): Ideiglenes zárás.
fogfehérítés sematikus vázlata.
5. ábra: A 3D nyomtatással készült sebészi sablon ínyplasztika során való alkalamzása. (A): A sablon digitális tervezése. (B): Az elkészült sablon helyére illesztése. (C): Az ínyplasztika sablon segítségével történő kivitelezése. (D): A műtét utáni állapot.
a polimerizálást követően folyékony kompozittal töltöttük fel. A páciens elégedett volt az eddig elért eredményekkel, és beleegyezett abba, hogy folytassuk a kezelést, amelynek következő lépése az ínyplasztika volt.
Mivel a rendelkezésünkre álló feszes íny szélessége lehetővé tette, ezért koronahosszabbítás helyett ínyplasztika végzése mellett döntöttünk. Először diagnosztikus gipszmintákat készítettünk, majd felviaszolás, azaz a wax-up (Wax GEO Classic, Renfert, Hilzingen, Németország) segítségével meg-
Az ultravékony héjpreparálás menete. (A): Az előkészítés mélységének ellenőrzése átlátszó redukcióssablon segítségével. (B): Az eltávolított anyag vastagságának ellenőrzése gyúrható szilikonból készült sablon segítségével. (C): Az okkluzális irányú redukció szilikonsablonnal történő ellenőrzése.
terveztük a páciens igényeinek megfelelő harmonikus mosoly biztosításához szükséges fogformákat és az ínylefutást. A diagnosztikus wax-up szkennelését (D2000, 3Shape A/S, Koppenhága, Dánia) követően digitálisan megterveztük a sebészi sablont, és azt 3D nyomtató segítségével (Form 3, FormLabs) rezinből (Dental LT Clear Resin V2, Form 2, FormLabs, Somerville, Massachusetts, Egyesült Államok) elkészítettük (4. ábra). A sebészi sablon fogakra történő helyezését követően egyértelműen látszott, mely vonalban kell az
Developing pain-free dentistry around the world
Easy and painless dental procedures with ARTINIBSA
MONOPROTECT INIBSA
Dental Needles
Smooth injections to comfort your patients
7. ábra. A héjak vastagságának ellenőrzése és a felületek előkészítése. (A): A héjak vastagságának ellenőrzése. (B): A mérés eredményének ellenőrzése: 0,5 mm-nél vékonyabb. (C): Hidrofolysavval történő kondicionálás. (D): A primer applikálása.
ínyplasztikát vezetnünk. Az ínyplasztikához elektrokautert (Sensimatic 700SE Electrosurge, Parkell Inc, Edgewood, New York, Egyesült Államok) használtunk (5. ábra). A papillák védelme érdekében az interproximális területnek megfelelően elektrokauter helyett parodontális kést (KB5/6 Buck Periodontal Knife, Hu-Friedy, Chicago, Illinois, Egyesült Államok) alkalmaztunk az interdentálisan elhelyezkedő ínyrészek újrakontúrálására.
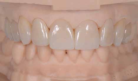
Ezt követően 6 hónapot vártunk a parodontális szövetek gyógyulásának érdekében. Ekkor a mock-up-ot felhelyeztük a páciens fogaira. Mivel a páciens elégedett volt a bemutatott látvánnyal, ezért a kezelés következő fázisának megkezdése mellett döntöttünk. A preparálás előtt a fogak felszínén mélységjelölő barázdákat alakítottunk ki (LVS1 FG Medium Depth Cutting Diamond 834.31.021, Brasseler Dental, One Brasseler Boulevard Savannah, Georgia 31419, Egyesült Államok). A megfelelő anyagvastagság biztosításához ezen felül egy 0,5 mm vastagságú átlátszó redukciós sablont (Keystone Industries, 480 South Democrat Road, Gibbstown, New Jersey, Egyesült Államok) is készítettünk. A sablont egy vákuumkészülék (Pro-Vac Machine 110V, Keystone Industries) segítségével hoztuk létre. A protetikai fázis során a frontfogak és az első kisőrlőfogak kerámia héjakkal történő ellátását terveztük. A preparálás mélységét a sablon felhelyezését követően, a sablonon lévő perforációk segítségével tudtuk ellenőrizni. A nyílásokba parodontális szondát vezettünk, hogy meghatározzuk a redukció mértékét (6. ábra). A preparálás megfelelőségét ezen felül egy gyúrható szilikonból készült sablonnal is ellenőriztük. Ebben az esetben is parodontális szondát használtunk a mélység ellenőrzése céljából (6. ábra). A csonkelőkészítés utolsó lépéseként a lecsiszolt fogfelszíneket polírkorongok segítségével (OptiDisc, Kerr, Orange, Kalifornia, Egyesült Államok) simára políroztuk. A lenyomatvétel során duplafonalas lenyomatvételi technikát alkalmaztunk. Az ínybarázdákba először #00-
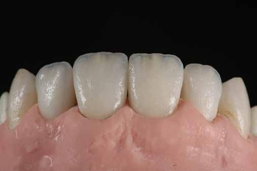
8. ábra. Az ultravékony héjak adhezív módszerekkel történő ragasztása. (A): Az elkészült héjak. (B): A fogfelszínek kofferdám izolálásban történő foszforsavas kondicionálása. (C): Az adhezív felvitele. (D): A héjak fényre kötő rezin alapú ragasztócementtel történő ragasztása.
ás, majd #0-ás retrakciós fonalakat (Ultrapak, Ultradent Products Inc, South Jordan, Utah, Egyesült Államok) helyeztünk. A végső precíziós lenyomatot polivinil-sziloxán lenyomatanyaggal (Virtual 380, Ivoclar Vivadent AG, Schaan, Liechtenstein) vettük. A fogtechnikai fázisban ultravékony (0,5 mm-nél vékonyabb) földpátkerámia héjak elkészítését kértük (Super Porcelain Ex-3, Kuraray Noritake Dental, Tokió, Japán), (7. ábra). A kerámia héjak készre vitelét követően a próba során a héjakat a helyükre illesztettük a széli zárást, az így kialakított fogformák ellenőrzése céljából. A páciens elégedett volt az így kapott látvánnyal. A végleges ragasztás kofferdám izolálásban történt. A preparált fogak felületét először 37%-os foszforsavval (Total Etch, Ivoclar Vivadent) 15 másodpercen keresztül kondicionáltuk, majd vízzel leöblítettük (8. ábra). A kondicionált zománcfelszíneket Adhese Universal (Ivoclar Vivadent) adhezívvel kezeltük. A kerámiahéjak homorú felszíneit 5%-os folysavval (IPS Ceramic Etching Gel, Ivoclar Vivadent) 20 másodpercen át kondicionáltuk, majd a felszíneket Monobond Plus primerrel (Ivoclar Vivadent) vontuk be (7. és 8. ábrák). A héjakat fényre kötő rezinalapú ragasztócement (Variolink Esthetic LC, Ivoclar Vivadent) applikálását követően a helyükre illesztettük. A kifolyó cementfelesleg eltávolítását követően minden felszínt (labiális, palatinális, meziális és distális) LED-es polimerizációs lámpával (VALO Cordless, Ultradent) 40 másodpercen keresztül megvilágítottuk.
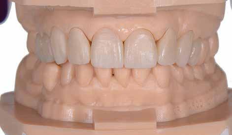
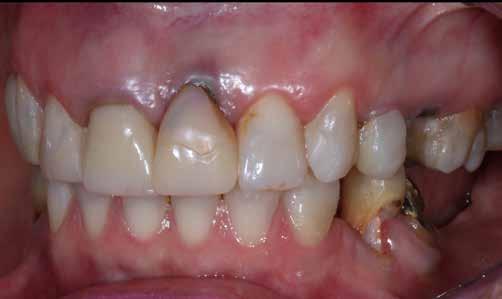
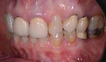
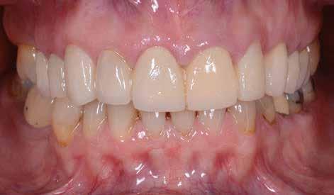
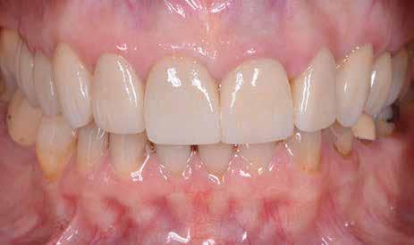
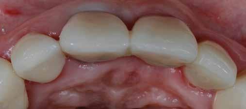
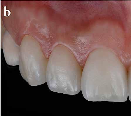
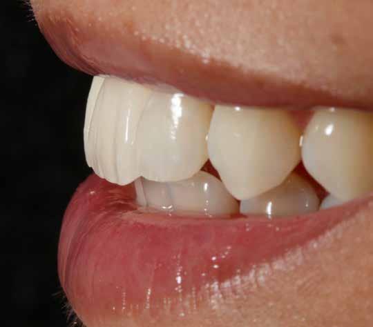
A páciens elégedett volt a végleges restaurátumok színével, formájával és méretével. A kezelés végeredménye kielégítette az esztétikai elvárásait (9. ábra). A frissen átadott restaurátumok épségének megőrzése érdekében a páciens számára éjszakai fogvédősínt készítettünk. A páciensünk a négyéves kontrollvizsgálat során is nagyon elégedett volt a kezelés eredményével. A korábban meglévő fekete háromszögek eltűnésének különösképpen örült (9. és 10. ábrák)
9. ábra. A beavatkozás után, valamint a 4 évvel később látható állapot. (A): Egy héttel a ragasztás után készült felvétel. (B): A négyéves kontroll alkalmával készült felvétel.
A jelen cikkben bemutatásra kerülő eset ellátása során az esztétikai zóna kezelése minimál invazív megközelítéssel történt. A kezelések megkezdése előtt a páciens két fő panaszt említett: a fogai között látható rések, valamint az elszíneződött jobb felső nagymetszőfoga zavarta leginkább.
A pácienst tájékoztattuk, hogy a kezelés legelső lépéseként a korábban gyökérkezelt fogának belső fehérítésére van szükség. Korábbi tanulmányok kimutatták, hogy az endodonciai kezelések során a vérben található hemosziderin, hemin, hematin és memoidin a dentintubulusokba kerülhetnek, és ezáltal a fog elszíneződését okozhatják.14 Amennyiben a fogak esztétikai megjelenését vékony kerámia héjak alkalmazásával kívánjuk javítani, akkor az elszíneződött fog minimál invazív módon történő belső fehérítése szükséges. Jelen esetben a belső fehérítéshez nátrium-perborát és 30%-os hidrogén-peroxid keverékét használtuk. A kapott pasztát washi papírba csomagoltuk, és egy hathetes periódus alatt kéthetente kicseréltük a fogban. A washi papír gyökérkezelt fogak minimál invazív fehérítése során történő használatáról Jurado és további szerzők15 is beszámoltak. A washi papírt a gampi fa, a mitsumata cserje (Edgeworthia chrysantha) és a papíreperfa belső kérgében található rostokból készítik. A pulpakamrába helyezett washi papírba csomagolt fehérítő paszta sokáig meg tudja tartani a nedvességét, és ez lehetővé teszi a hatóanyagok lassú felszabadulását. A lassabb felszabadulás eredményeképpen a fog szerves és szervetlen állományának dentintubulusokon keresztül létrejövő károsodása minimalizálható. A hidrogén-peroxid nem kerül kontaktusba a parodontális szövetekkel, viszont hatékony fehérítő hatása érvényesül. A kezelés során nem jelentkeztek olyan nemkívánatos hatások, mint a külső vagy belső reszorpció. A fentiek isme-
10. ábra. A négyéves kontroll alkalmával készült röntgenfelvételek. (A): A metszőfogakról készült koronafelvétel. (B): A jobb oldali szemfog és első kisőrlőfogról készült koronafelvétel. (C): A bal oldali szemfog és első kisőrlőfogról készült koronafelvétel.
retében kijelenthetjük, hogy ez egy ígéretes technika lehet a fogak minimál invazív módszerekkel történő belső fehérítésére. A washi papír alkalmazásának további előnye, hogy megkönnyíti az ideiglenes zárás elkészítését. Az ideiglenes zárást biztosító anyag a fehérítő paszta nedvességtartalma miatt gyakran elválik a fog anyagától. Ha a pasztát washi papírba csomagoljuk, akkor jobban tudjuk kontrollálni a fogfelszínek nedvességtartalmát, ami előnyös az ideiglenes zárás elkészítése szempontjából. Jelen esetben az ideiglenes zárás jól funkcionált. A kezelés során nem észleltük az ideiglenes tömés széli zárásának elégtelenségére utaló jelek jelenlétét. A kívánt fogszín elérését követően elvégeztük az ínyplasztikát. A beszkennelt diagnosztikus wax-up vagy a csontnívó cone-beam komputertomográfiával végzett elemzése alapján korszerű sebészi sablonok készíthetőek, amelyek elősegítik az ínylefutás minél tökéletesebb korrekcióját. Annak ellenére, hogy már több közleményben is beszámoltak a 3D nyomtatással készülő sebészi sablonok koronahoszszabbítás – azaz az íny és a csontszövet formálására – során való fehasználásáról16,17, nem találtunk olyan közleményt, amelyben a sablont kizárólag az ínykontúr lefutásának módosítására használták volna. Jelen esetben a diagnosztikus wax-up szkennelése után a sablont pontosan megterveztük, majd rezin alapú anyagból kinyomtattuk. A 3D nyomtatást és a CAD/CAM technológiát egyre szélesebb körben alkalmazzák a fogászat különböző területein. Ennek oka, hogy ezek az eszközök egyszerű és gyors workflow-t tesznek lehetővé. Jelen eset ellátása során egy 3D nyomtatással készült, rendkívül pontosan illeszkedő sebészi sablont alkalmaztunk a műtét pontos kivitelezése érdekében. A sablon vékony anyagvastagsága jelentősen növelte a páciens komfortérzetét a beavatkozás alatt. Jelen esetben a digitálisan megtervezett sebészi sablont egy hagyományos gipszminta alapján készítettük el. Ez egy köztes lehetőség a teljesen analóg és a digitális munkafolyamatok között. A gyakorló fogorvosoknak
meg kell ismerkedniük a digitális lenyomatvételi technikákkal és a számítógépes tervezéssel, mivel a jövőben a teljesen digitalizált munkafolyamattal készülő sebészi sablonok kerülnek majd előtérbe. A digitális fogászati munkafolyamatokban kevésbé jártas kollégák számára jelenleg is nyitva áll az a lehetőség, hogy az általuk használni kívánt sablonokat gipszmintára történő direkt felviaszolás alapján készítsék el. Kiemelendő, hogy a hagyományos mintára digitálisan készülő nyomtatott sablon kifejezetten jól illeszkedett, így ez a módszer ajánlott a digitális fogászattal megismerkedni kívánó fogorvosok számára.
Napjainkban a fogászati kerámiák széles választéka érhető el a piacon. Többek között lehetőségünk van földpátkerámia, illetve leucittal és lítium-diszilikáttal megerősített földpátkerámia használatára18. A zománchoz adhezíven rögzülő héjak magas túlélést és alacsony sikertelenséget mutattak.19
Az elmúlt években a fogtechnikai eljárások fejlődésének köszönhetően lehetőségünk van nagy szilárdságú kerámiákból készülő ultravékony kerámia héjak készítésére.20 Jelen esetben, a kimagasló esztétikai tulajdonságainak köszönhetően, a földpátkerámiára esett a választásunk. Azt is fontos azonban kiemelni, hogy jelenleg csak kisszámú esetismertetésben találkozhattunk földpátkerámiából készült ultravékony héjakkal. Egy anyagtani vizsgálatban arról számoltak be, hogy az ultravékony (0,5 mm-nél vékonyabb) kerámiahéjak töréssel szembeni ellenálló képessége lehetővé teszi a klinikai felhasználásukat.21 Az utóbbi időben a rezin alapú ragasztócementek kötő- és mechanikai ereje javult18,22, ezáltal az ezekkel az anyagokkal rögzítésre kerülő restaurátumok
mechanikai tulajdonságai jobbak lettek. Ez is hozzájárult ahhoz, hogy lehetőségünk van az 0,5 mm-nél vékonyabb ultravékony héjak földpátkerámiából történő elkészítésére. A négyéves utánkövetés azt igazolta, hogy ultravékony héjakkal megfelelő eredményeket lehetett elérni.
Jelen esettanulmányban három meglévő technika kombinálását és továbbfejlesztését mutattuk be: washi papír használatával történő belső fogfehérítést, nyomtatott sebészi sablon által vezetett ínyplasztikát, és a fogakra ultravékony földpátkerámia héjakkal történő ellátását. E bonyolult eset kezelése során – minimálinvazív megközelítés mellett – kiemelkedő esztétikai eredményt sikerült elérni.
Az alapos tervezést követően végzett restauratív beavatkozások során sikeresen kombináltuk a washi papírral végzett belső fogfehérítést, a 3D nyomtatott sebészeti sablonnal és elektrokauterrel végzett ínyplasztikát, továbbá az ultravékony földpátkerámia héjakkal történő ellátást. A kezelési terv követésével el lehetett érni a kívánt esztétikai eredményeket, amelyek már 4 éve stabilnak bizonyultak.
(A cikk megírása során felhasznált szakirodalmi hivatkozások jegyzéke elérhető a szerkesztőségünkben.)
Forrás: Operative Dentistry 2021; Nyomtatásban nem jelent meg.
A fogorvosi beavatkozásokkal szemben támasztott követelmények között az utóbbi időben egyre hangsúlyosabbá vált az attraktív esztétikai eredmények elérése iránti igény. Ezzel párhuzamosan a páciensek egyre jelentősebb hányada igényli a minimálinvazív terápiás lehetőségek alkalmazását. Vannak azonban olyan esetek, ahol a beavatkozások megkezdése előtt fennálló kiindulási állapot különböző előkezelések elvégzését teszik szükségessé annak érdekében, hogy az ellátás eredményeként minimálinvazív módszerekkel biztosított esztétikus megjelenést tudjunk elérni. Az alábbiakban olvasható esetbemutatás során egy olyan multidiszciplináris funkcionális és esztétikai kezelést fogunk ismertetni, ahol minimálinvazív módszerek alkalmazása mellett tudtunk esztétikus eredményeket is elérni.
Az esztétikus végeredmények biztosítása érdekében gyakran multidiszciplináris megközelítés alkalmazására van szükség. Ezeket a több szakterületet is érintő beavatkozásokat ugyanaz a fogorvos is biztonsággal elvégezheti, ha a tervezett beavatkozások komplexitása nem igényli az adott szakterülettel kapcsolatos mély ismeretek meglétét. Ha nagyobb volumenű, vagy speciális ismereteket igénylő komplex kezelésekről van szó, akkor egyértelműen az adott területre vonatkozó szakvizsgával rendelkező specialista felkeresését javasoljuk. Az alábbi esetbemutatásban ismertetésre kerülő beavatkozásokat ugyanaz a fogorvos végezte. A beavatkozások elvégzése során mindvégig minimálinvazív módszereket alkalmazott.
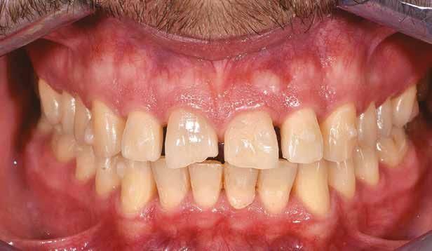
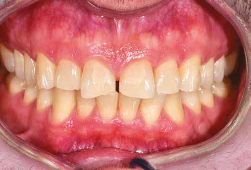
A 26 éves férfi páciens azzal a kéréssel kereste fel a rendelőnket, hogy a frontfogai esztétikusabb megjelenését szeretné elérni. A páciens jó általános egészségi állapottal rendelkezett, nem szenvedett allergiáktól és nem kellett rendszeresen gyógyszereket szednie. A páciens lehetőség szerint kerülte a fogai megmutatását. Rendkívül zavarónak találta a nagymetszői között, a középvonalnak megfelelően látható rést, a fogain látható kopási jeleket, valamint a fogai méretét is túl kicsinek találta. A szájüregi vizsgálat során megállapítottuk, hogy a nagymetsző fogai (11, 21) élharapásban vannak, valamint az alsó fogíven kismértékű torlódást észleltünk. A felső frontfogakon
(13-23) attrícióra utaló jeleket találtunk. A fogak kopása a nagymetszőfogaknak megfelelően volt a legkifejezettebb (1. ábra) . Az előbbiekben említett fogak (11, 21) ezen kívül némileg elfordultak, és jelentősebb méretű diasztéma volt köztük. A páciens Angle I.-osztályú állcsontrelációs helyzettel rendelkezett. A vizsgálat során feltűnt, hogy a páciens csak nagyon óvatosan mert mosolyogni (2. ábra)
A szájüregi vizsgálat során nem találtunk szuvas léziók jelenlétére utaló eltéréseket. A nagymetszőfogakon megfigyelhető jelentős mértékű kopás ellenére nem észleltünk craniomandibuláris diszfunkció jelenlétére utaló jeleket. A vizsgálat befejezését követően a pácienst tájékoztattuk a különböző kezelési lehetőségekről. Az esztétikai megjelenés javítása érdekében először egy alignerekkel végzett fogszabályzó kezelés elvégzését, majd a harapási helyzet optimalizálását követően a felső frontfogai kompozittal történő direkt felépítését vagy héjakkal történő ellátását (pl.: non-prep héjak) javasoltuk (3. és 4. ábra).
Az alignerekkel történő fogszabályzó kezelés elvégzéséhez az Invisalign rendszert használtuk. Az orthodonciai kezelés során 14 sín került felhasználásra. A páciensnek minden egyes sínt 10 napon keresztül kellett viselnie. A fogszabályzó kezelés céljai között szerepelt az élharapás megszüntetése, a szemfogak derotálása, valamint az alsó fogíven látható torlódás feloldása.
Az eset ellátása során végzett orthodonciai előkezelést funkcionális szempontból a protetikai vagy restauratív célú fogászati beavatkozások közé sorolhatjuk.
Az orthodonciai terápia során a fogív tágításra került, és a fogak között látható rések is egyenletes módon lettek elosztva a frontfogak között. Erre azért volt szükség, hogy a restauratív fázis során lehetőségünk legyen a harmonikus szé-
lességű és hosszúságú fogformák kialakítására (5. ábra)
A labiális és bukkális fogfelszínekre helyezett attachmentek feleltek a sínek által a fogakra kifejtett erők megfelelő átvitelének biztosításáért. Az eset ellátása során végzett orthodonciai előkezelést funkcionális szempontból a protetikai vagy restauratív célú fogászati beavatkozások közé sorolhatjuk. Ebben az esetben az orthodonciai beavatkozásnak az volt a célja, hogy lehetővé tegye a definitív fogpótlások minimálinvazív módon történő elkészítését. Az alignerekkel történő fogmozgatások befejezését követően a pácienst egy felső retenciós sínnel láttuk el. Az alsó fogíven az elért eredmények stabilitását fix retainer felhelyezésével biztosítottuk.
A fogazat minimálinvazív módon készített héjakkal történő ellátásához a fogaknak olyan pozícióban kell lenniük, amely lehetővé teszi az esztétikai megjelenés additív eljárások alkalmazása mellett történő optimalizálását.1. ábra: Kiindulási állapot. A felső nagymetszőfogak élharapásban vannak. 2. ábra: Az orthodonciai kezelés megkezdése előtt készített intraorális felvétel. A páciens csak óvatosan mer mosolyogni. 3. és 4. ábra: Digitálisan megtervezett kezelés.
A kezelések második fázisában a pácienssel közösen non-prep/ minimálinvazív héjak készítése mellett döntöttünk (6. és 7. ábra).
Az ilyen jellegű ellátás során csupán a lehető legkisebb mennyiségű foganyag kerül eltávolításra. A minimálinvazív beavatkozás elvégzését lehetővé tevő feltételeket a fogszabályzó kezelés során alakítottuk ki. A fogazat minimálinvazív módon készített héjakkal történő ellátásához a fogaknak olyan pozícióban kell lenniük, amely lehetővé teszi az esztétikai megjelenés additív eljárások alkalmazása mellett történő optimalizálását. Azonban az ellátás során előbbiekben felsoroltakon kívül más szempontokat is figyelembe kell vennünk. Amennyiben a páciens a jelenleg látható fogszínéhez képest jelentős változást szeretne elérni, úgy sokkal vastagabb héjak készítésére van szükség, és az ezáltal megnövekedett helyigény miatt sok esetben nincs lehetőség kizárólag additív eljárások alkalmazására (8. ábra). Mivel a cikkben bemutatásra kerülő eset ellátása során a fogazat helyzeti rendellenességei az előzetes orthodonciai kezelés keretei között korrekcióra kerültek, ezért lehetőségünk adódott a restauratív fázis minimálinvazív módon történő elvégzésére. Az általunk alkalmazott terápia hátrányai között szerepelt, hogy az elvégzett beavatkozások időigénye miatt a tervezett végeredményt csupán viszonylag hosszú idő után tudtuk elérni.
A páciens teljesen elégedett volt a kezelések befejezését követően elért esztétikai végeredménnyel (9. ábra). A terápiás erőfeszítéseink eredményeinek köszönhetően újra képes felszabadultan nevetni és mosolyogni. A cikkben bemutatásra kerülő eset jól példázza a multidiszciplináris beavatkozások alkalmazásában rejlő előnyöket. A megfelelő sorrendben végzett orthodonciai és restauratív kezelésekkel lehetővé vált a páciens mosolyának minimálinvazív módszerekkel történő optimalizálása. A körültekintő tervezésnek köszönhetően nem került sor felesleges beavatkozások elvégzésére, és emiatt a kezelések befejezéséhez szükséges idő sem nyúlt a szükségesnél hosszabbra. Arra is felhívnánk a figyelmet, hogy a jól megszervezett, továbbá a lehető legkevesebb rendelési időt felhasználó kezelések – a beavatkozásokat végző fogorvosok számára is – rendkívül kedvezőek lehetnek.
Forrás: Cosmetic Dentistry 2022; 1 12-14
KAVOSZ SZÉCHÉNYI LÍZING MAX+
• 5 % fix kamatozás
• 2,5 % szerződéskötési díj
• Önerő 30 %
A-dec 500
Prémium kategóriás alsó/felső karos kezelőegység
2003 ÓTA FOLYAMATOSAN ELNYERTE A LEGJOBB KEZELŐEGYSÉG FŐDÍJAT
Csak az a gyártó ad 5 év garanciát a termékére, aki biztos a gyártmánya minőségében
DELUXE vezérlés, 8+4 LED páciens lámpa, NSK NLZ LED-es mikromotor www.a-dec.com/virtual-tour www.dent-east.hu
Az A-dec kezelőegységek szervizeléséhez a vételár mindössze átlagosan 1,97%-át teszi ki az évente vásárolt alkatrész. Ebben az A-dec páratlan.
A-dec 230
Felsőkaros kezelőegység, DELUXE vezérlés, 8+4 LED vagy 4 LED páciens lámpa, NSK NLZ LED-es mikromotor
A-dec 200
Kompakt alsókaros kezelőegység
DELUXE vezérlés, 8+4 LED vagy 4 LED páciens lámpa, NSK NLZ LED-es mikromotor
„Amit ma megvehetsz, ne halaszd holnapra”
A tesztprojektünk megerősítette, hogy a KATANA Zirconia
potenciállal rendelkezik, és az indikációs területe határtalan.
pozicionálása a virtuális nyersdarabban, marás után pedig az illeszkedés
Zirconia YML kiváló minőségű anyag, amely nagy esztétikai határtalan. Meglepően egyszerű a restaurációk tervezése és pedig a felületek simák, a szélek élesek és határozottak, pedig pontos.
Amikor a fogászati cirkónium rendkívül esztétikus anyaggá fejlődött alkalmassá válva a monolitikus kialakítású vagy minimális labiális visszavágású pótlások készítésére, a kézzel végzett munka (kerámia rétegezés) mennyisége csökkent. Ugyanakkor minden fogtechnikai laboratóriumnak több elérhető nyersdarabra volt szüksége, és az indikáció-specifikus anyag -
választás igénye bonyolította a tervezési folyamatokat.
Egyes fogtechnikusok előszeretettel játszanak a különböző korongokkal és az automatizált és kézi munkafolyamatok kombinációjával, hogy pontosan megfeleljenek a páciens és az indikáció-specifikus igényeknek. Mások azonban egy gyorsabb és szabványosabb utat választanának
Kónuszos felépítmény kapcsolat
Kisebb mikromozgás
Erősebb és egyenletesebb csatlakozás
Platform switching
a szépség irányába. Az utóbbi csoport számára a Kuraray Noritake Dental most mutatott be egy igazi sokoldalú eszközt: a KATANA Zirconia YML-t. Ez a termék az újonnan kifejlesztett különböző ittrium-tartalmú nyersanyagokon alapul, amelyet a vállalat többrétegű színszerkezetébe integráltak. Ennek eredményeként a KATANA Zirconia YML színt, áttetszőséget és szilárdsági fokozatot kínál a teljes nyersdarabban, ami korlátlan indikációs tartományt eredményez.
Ez ígéretesen hangzik, de valóban működik a laboratóriumi és a klinikai környezetben? Vannak-e rejtett kihívások a tervezéssel és a gyártással kapcsolatban? És mennyire szépek a végeredmények? Annak érdekében, hogy felmérjük az anyag tulajdonságait a valóságban és megnézzük, hogy hogyan teljesít a kezünkben, úgy döntöttünk, hogy klinikailag teszteljük egy összetett eset kezelésében.
„A KATANA Zirconia YML színt, áttetszőséget és szilárdsági fokozatot kínál a teljes nyersdarabban, ami korlátlan indikációs tartományt eredményez.”
A hölgy pácienst zavarta a felső front fogainak esztétikája (1. és 2. ábra). Számos fém-kerámia koronája volt az elülső (mindkét középső metszőfogon) és a hátsó régióban (három kisőrlőn) csúnya sötét szélekkel és természetellenesen opák maggal. A szomszédos természetes fogak sokkal áttetszőbbnek tűntek, megjelenésüket pedig több, elszíneződött szélű kompozit restauráció rontotta. A jobb első őrlőfog hiánya a második őrlőfog meziális elmozdulását okozta (3. ábra). Ezenkívül a bal szemfog hiányzott, de a rés záródott (4. és 5. ábra).
A felső állcsonton minden restaurációt cserélni kellett, és a páciens nagy hangsúlyt fektetett a helyzet hosszú távú esztétikai javítására. Ennek érdekében egy teljes kerámia anyagot kellett választani. A helyreállító kezelést megelőző fogszabályozó korrekció nem volt lehetséges, ezért a pótlásokat a fennálló klinikai helyzethez kellett igazítani. A folya-
Nincs több vezeték
Vezetékektől mentes, a szkennelés bármilyen szögben kényelmes. Az approximális területek könnyedén, korlátok nélkül szkennelhetők.
70 FPS
Gyors és pontos
Akár 70 FPS szkennelési sebesség. Megtapasztalhatja a Medit legkelendőbb modelljének elképesztően egyenletes és gyors szkennelési teljesítményét. Élvezze az i700w gyors sebességét vezeték nélkül, hibátlanul.
Cégünk személyreszabott kurzusokat, ingyenes ügyfélszolgálatot, távszervizt és cseredarabot kínál felhasználóink számára
Hosszú üzemidő, mégis könnyű Kiemelkedő akkumulátoros üzemidő, a hosszantartó szkennelésekhez az Ön kényelme érdekében.
Erőteljes hardver találkozik a sokoldalú szoftverrel
Kényelemre optimalizálva. Nemcsak hardveres szempontból, hanem szoftveresen is. Az i700w vezeték nélküli szkenner a MEDIT legújabb technológiáit tartalmazza.
matos optikai integráció érdekében úgy döntöttünk, hogy a metszőfogaktól a második kisőrlő fogakig minden pótláshoz egyetlen anyagot használunk.
Ez egy nagyszerű lehetőség volt az új KATANA Zirconia YML tesztelésére. Az anyag monolitikus használatát nulla visszavágással, ultravékony folyékony kerámiaréteg (CERABIEN ZR FC Paste Stain; Kuraray Noritake Dental) festéssel tervezték.
A régi pótlásokat eltávolították és a fogakat előkészítették (6. ábra). A foganyag minimálisan invazív eltávolítását támogatta az a tény, hogy a KATANA Zirconia YML minimális falvastagsága mindössze 0,4 mm a front területen, és 0,5 mm a hátsó régióban. Ezután digitális lenyomatot vettek TRIOS 3-mal (3Shape; 7. ábra).
A kapott adatokat a páciens arcáról készült fényképekkel párosítva virtuális felviaszolást (wax-up) terveztek (8. ábra) és
a fogtechnikai laboratóriumban ideiglenes pótlást faragtak ki. Az ideiglenes fogpótlás behelyezése lehetővé tette az esztétikai és funkcionális értékelést, valamint a tervezett végleges pótlások klinikai tesztelését (9. ábra). Ebben az összeállításban a bal első kisőrlő vette át a hiányzó szemfog funkcióját és alakját. Az a tény, hogy a jobb oldali ínyszél a bal középső metszőfoghoz képest valamivel magasabban volt, nem zavarta a pácienst, így igazításra (gingivectomia) nem volt szükség.
A tesztelés sikeres befejezése után digitális lenyomat készült a behelyezett ideiglenes fogpótlásokról (10. ábra). Ezen lenyomat és a tesztelés során szerzett információk alapján négy teljes kontúr koronát, két részleges koronát és egy hidat terveztek (11-13. kép). A jobb első kisőrlő és az első őrlőfog közötti hídnak kis konzol szabadvége volt, hogy kitöltse a
hiányzó első őrlőfog beszűkült rését. A restaurációk KATANA Zirconia YML-ből készültek. A nyersdarabon belüli hajlítószilárdság különböző szintjei ellenére a pótlások virtuális elhelyezése a korongban rendkívül egyszerű. Ebben az esetben az elkészített restaurációknál csak a gyártó által javasolt minimális falvastagságot és konnektor keresztmetszetet kellett betartani. Ha hosszú fesztávú helyreállításokat terveznek (több mint három taggal), a konnektor keresztmetszeti területének felét a nyersdarab alsó felébe kell helyezni. Ez az eset fennáll, ha a restaurációt a korong közepére helyezik el, annak méretétől függetlenül.
A szinterezés előtt a restaurációkhoz kézi eszközökkel egyedi textúra jellemzőket adtak (14. és 15. ábra). Egy egyenletes többrétegű szerkezetet értek el átmeneti vonalak nélkül, meleg testfelülettel. A még természetesebb megjelenés érdekében a CERABIEN ZR FC Paste Stain készlettel néhány egyedi hatást és fényt adtak hozzá (16-19. ábra)
A pótlásokat PANAVIA V5 adhezív ragasztó rendszerrel (Kuraray Noritake Dental) helyezték be. Az anyag jól elfedte az alatta lévő fogszerkezet elszíneződését, és szép áttetszőséget biztosított az incizális területen (20. ábra).
A tesztprojektünk megerősítette, hogy a KATANA Zirconia YML kiváló minőségű anyag, amely nagy esztétikai potenciállal rendelkezik, és az indikációs területe határtalan. Meglepően egyszerű a restaurációk tervezése és pozicionálása a virtuális nyersdarabban, marás után pedig a felületek simák, a szélek élesek és határozottak, az illeszkedés pedig pontos. A paszta festéses mikro-rétegezés gyakran elegendő az élénk eredményhez. Ezáltal az új KATANA Zirconia YML lesz a választott anyag mindenki számára, aki nagyra értékeli a magas szintű automatizálást, a laboratóriumi munkafolyamatok szabványosítását, valamint a hatékony és egyszerű eljárásokat.
Forrás: Digital 2022/1
Mindig egy lépéssel előrébb!
• Hagyományos Galilei és prizmatikus lupék
• 45°-ban szögtört prizmatikus ergo lupék
• Orchid vezetékes és Butterfly vezetékmentes lámpák
• Flamingo vezetékmentes full HD kamera lámpával integrálva, valamennyi Admetec lupéhoz
Tel.: 06 30 942 7560
e-mail: dental@harmonycom.hu
www.harmonycom.hu
Amikor a természetes fogazat nagyon hangsúlyos árnyalati karakterisztikával rendelkezik, az különleges kihívást jelent a fogtechnikus számára. A természetes színjáték minden egyes hatásának reprodukálása érdekében megfelelő leplező kerámia anyagra és az effekt masszák széles skálájának alkalmazására van szükség. Ezen kívül a természetes vibrálás visszaadása különösen bonyolulttá válik, ha az éli régió sokoldalú szín- és fényjátékot mutat, például szürkésfehér transzparencia formájában. Ebben az esetben elengedhetetlen az egyedi áttetszőség különböző él, és effekt anyagokkal történő megvalósítása. A VITA LUMEX AC (VITA Zahnfabrik, Bad Säckingen Németország) egy új leplező rendszer, amely gyakorlatilag korlátlan lehetőségeket kínál az árnya -
lati hatások pontos és megbízható reprodukciójához és a sokoldalú fényjáték megvalósításához. A következő esettanulmányban Michele Prosperino (San Severo, Olaszország) fogtechnikus bemutatja, hogyan tudta sikeresen kezelni az egyik ilyen kifinomult esetét az új leplező kerámiával.
Egy 52 éves beteg összes foga trauma következtében törést szenvedett a mandibula front régiójában. A fogmaradékok megóvását követően a páciensnek nem volt rossz
közérzete. A trauma miatt kilazult fogak stabilizálódtak. Egy hosszabb távú ideiglenessel történő kezelést követően a páciens végleges rekonstrukciót kért, mely után úgy szeretett volna mosolyogni, mint a balesetet megelőzően. Annak érdekében, hogy a traumás lazulást követően stabilizálják a fogakat, a fogorvos és a beteg úgy döntött, hogy a 32-42 fogakon, a koronákat összekötve, híd pótlást alkalmaznak. Az anyag kiválasztásakor a cirkónium koronavázak mellett döntöttünk, amelyeket az új, leucit erősítésű üvegkerámia leplező rendszerrel, a VITA LUMEX AC-val lepleztünk.
A négy frontfog területén helyi érzéstelenítés történt. Ezt követte a szisztematikus és pontos fogszín meghatározás a VITA fogszínkulcs segítségével. Az előkészítést követően elkészült a csonkok végleges formája, melyek a mestermodell kialakításának alapjául szolgáltak. A váz készítéséhez előszínezett, LL1 árnyalatú, transzparens VITA YZ T anyagot választottuk. A digitalizálási folyamatokat az S600 ARTI laborszkenner segítségével hajtottuk végre, a vázat a M5 Heavy Metal CAM (mindkettő Zirkonzahn, Pustertal, Dél-Tirol, Olaszország) készülék segítségével gyártottuk le.
INTENSE sun, illetve az éli régiókban FLUO INTENSE sesame.
A mosó égetésnél FLUO INTENSE sand, illetve az incizális régiókban FLUO INTENSE sesame masszákat használtunk a mélységi fluoresszencia szabályozásához. A dentin alapot a DENTINE A3 használatával rétegeztük a meghatározott fogszín szerint. Ezután a DENTINE A3,5, illetve a DENTINE MODIFIER copper 50:50 arányú keverékét felvittük a központi palatinális területre. A nyaki régió intenzitását az oldalsó felszíneken a DENTINE A3,5 és kevés FLUO INTENSE sand keverékével
A3-ból.
4.
A DENTINE A3,5 és DENTINE MODIFIER copper masszák 50:50 százalékos keverékének elhelyezése palatinálisan.
5.
A laterális nyaki intenzitásokat a DENTINE A3,5 és a FLUO INTENSE sand kombinációjának használatával értük el.
6. kép: A DENTINE A3-ból felrakott középső területeket OPAL TRANSLUCENT opal neutral masszával borítottuk
emeltük. A központi DENTINE A3 kerámia felrakását az OPAL TRANSLUCENT opal neutral massza felhordása követte. Végül az ENAMEL light zárta a sort, majd elvégeztük az első dentin égetést. A kimagasló modellálási tulajdonságainak és stabilitásának köszönhetően a kerámia felrakás során, alkalmazása szempontjából az anyag egészen lenyűgöző volt. A végső korrekciós égetés élszín rétegét ENAMEL medium és ENAMEL clear 50:50 arányú keverékével oldottuk meg a koronák felső harmadában. Az utolsó égetést követően a végeredmény figyelemre méltó árnyalat hűséget mutatott. A VITA LUMEX AC használatával az eredetileg meghatározott fogszín árnyalatok pontos reprodukálása hihetetlenül sikeres volt. Ezt követően finomszemcsés gyémánt kidolgozókat és VITA AKZENT Plus glazúrt használtunk a véglegesítéshez.
A koronákból álló híd restauráció önkötő ragasztó kompozit cementtel lett véglegesen beragasztva. A páciens nagy lelkesedéssel fogadta a magas esztétikájú végeredményt. A fogpótláson ideális kölcsönhatásban valósult meg a fényáteresztés, az opacitás és a színtelítettség. A természetes fogak egyedi színkarakterisztikája tökéletesen lett reprodukálva, mely a pótlás a maradó fogazat alkotta környezetbe való harmonikus illeszkedését eredményezte. A kerámiát nagyon pontosan és precízen lehetett megmunkálni, kiváló tulajdonságokat mutatott az árnyalat
> Nagyfokú biokpmpatibilitás: nem tartalmaz
Bis-GMA-t és szabad nanopartikulát
> A természetes zománccal megegyező abrázió
> Mechanikai és funkcionális jellemzői megegyeznek az arannyal
> Könnyű kezelhetőség és ideális polírozhatóság
> Egyaránt alkalmas direkt és indirekt felhasználásra
> Röntgenárnyékot ad
> Fluoridot tartalmaz
®
A modern digitális és a bevált hagyományos
zása számos új lehetőséget nyit meg. Lehetővé
újat összehangoljuk, és mindkét világ
hagyományos gyártási módszerek együttes alkalma-
Lehetővé teszi számunkra, hogy a régit és az
világ legjobb tulajdonságait kihasználjuk.
Az elmúlt három évtizedben a kerámia injektálási vagy préselési technika a világ fogtechnikai laboratóriumaiban a kerámia restaurációk gyártásának megbízható és hatékony módszereként szilárdan meghonosodott. A digitális gyártási technikák elterjedése ellenére a préselési módszert még mindig széles körben alkalmazzák, mivel a munkafolyamat folyamatosan alkalmazkodik és fejlődik. Erre példa a viaszminták készítése. Ezeket a múltban kézzel kellett aprólékosan felgyantázni. Ez jelentős szakértelmet és tapasztalatot igényelt a fogtechnikusoktól. Az új technológiák és digitális eszközök bevezetésével azonban ma már lehetséges a viaszminták 3D-s megtervezése a számítógépen, majd a viaszkorongokból történő precíziós
marás vagy a modern 3D nyomtatókkal történő nyomtatás. Így a hagyományos préselési technika előnyei továbbra is élvezhetők, miközben kihasználhatók a mai digitális lehetőségek, amelyek tovább növelik a munkafolyamat megbízhatóságát és költséghatékonyságát.
E cikk célja, hogy bemutassa a hagyományos és a digitális munkafolyamatok kölcsönhatását egy klinikai eset alapján, amelyben préselt kerámia restaurációkat használtak.
Az 54 éves női beteg rágási problémákra, csúnya mosolyra és foghiányra panaszkodva jelentkezett rendelőnkben
Ennek megfelelően a kezelés a következő fázisokra lett osztva:
1. Az elülső implantátum eltávolítása és csontrekonstrukció
2. Implantátumok behelyezése az elülső és a hátsó régióba
3. A nem megfelelő restaurációk eltávolítása, endodontiai kezelés és a maradék fogazat előkészítése.
4.
kezelése
5. A felső és alsó fogívek lenyomatvétele
6. Kerámiapótlások készítése a laboratóriumban
7. Cementálás
8. Utóvizsgálatok
A 11. és 21. fogon lévő régi és nem megfelelő koronákat eltávolítottuk. Akrilgyanta-provisoriumot készítettünk (4. a ábra) . Az implantátumot az ideiglenes restauráció érintése nélkül a fog alatt hagytuk. Az implantátumot három nap múlva eltávolították, és csontrekonstrukciós műtétet végeztek kötőszöveti grafttal együtt (4. b–4. d ábra)
Először a két elülső implantátumot (V3B+, MIS implantátumok) helyeztük be. Kúp alakú kapcsolatuk biztosítaná a biztos illeszkedést az abutment és az implantátum között, és minimalizálná a mikromozgásokat.
Minden implantátumot átlagosan 4-5 mm távolságra helyeztünk be a leendő ínyszéltől (5. a és 5. b ábra). Az optimális lágyszövetkezelést úgy értük el, hogy a gyógyuló felépítményeket a gyógyult gerincekre helyeztük. Az azonnali
implantátumokon is személyre szabott gyógyuló felépítményeket alkalmaztunk az ínyprofil megtartása érdekében (6. a–6. c ábra).
A régi és nem megfelelő fogpótlásokat eltávolítottuk. Az alulmetszéseket univerzális ragasztóval (Adhese Universal) és bulk-fill kompozittal (Tetric EvoCeram Bulk Fill) töltöttük ki. Az endodontikusan kezelt fogakat kompozitgyantával restauráltuk. A gyengült fogszerkezetű fogakat üvegszál kompozittal erősítettük meg, amelyeket kompozit rezinnel is átdolgoztunk (7. a-8. b ábrák)
Az ideiglenes restaurációk PMMA korongból (Telio CAD) lettek kimarva. Ezeket úgy tervezték, hogy a végső implantátum gyógyulási fázisában kondicionálják az íny -
eltávolítása,5. a kép: Csont és... 6. a kép: Implantátum behelyezése (V3b+ MIS IMPLANTS) ... 5. b kép: ...lágyszöveti augmentáció. 6. b kép: ...és a személyre szabott gyógyító felépítmény azonnali behelyezése.
lágyszövetet (9a-9e. ábra). Ezzel egyidejűleg az alsó állkapocsban fogszabályozó kezelést végeztek (10. ábra) a megfelelő, fogak által irányított okklúzió kialakítása érdekében.
A felső és alsó fogakról és az implantátumokról egylépéses double-cord technikával készültek a lenyomatok. Open Tray lenyomatvételi fejek (11. ábra) és a Virtual Putty és Virtual Extra Light vinil-polisziloxán lenyomatvételi anyagokat használtunk.
Három stabilizált ponton: két hátsó és egy elülső helyen akrilgyantával harapásregisztrációt készítettünk.
A felső és az alsó állkapocsról egyaránt Stone modellminták készültek, amelyeket az artikulátorba szereltek (12. a és 12. b ábra). Az ideiglenes fogpótlások képeit CAD szoftver segítségével egymásra helyezték a preparált fogak képeivel. Ez lehetővé tette a cirkónium-dioxidból készült felépítmények megtervezését, amelyeket később ki kellett marni (IPS e.max ZirCAD MO1). Az abutmenteket elkészítettük és felhelyeztük a vizsgálati modellekre (13. a és 13. b ábra). Ezt követően a modelleket újra beolvasták. A preparációról készült fotókat a wax-upra szuperponáltuk, és 3D-s rajzokat készítettünk a kerámia restaurációkról. A hátsó fogakat monolitikus formában tervezték, míg a felső elülső fogakat kissé visszavágták,
hogy egy vékony labiális kerámiaréteget helyezhessenek el, ami fokozza a restaurációk esztétikai megjelenését.
A 3D modellezési folyamatot követően a restaurációkat hatékonyan és pontosan kifaragták viaszból, majd elkészítették (13. c-14. ábra). A viaszmintákat az artikulátorba szereltük, és szükség szerint kiigazítottuk. Ezután a precíziós viaszmintákat beültették és kiégették. Ezután az IPS e.max Press lítium-diszilikát üvegkerámia restaurációs anyagot injektálták a formákba. Ezt az anyagot nagy szilárdság, kivételes esztétika és tartós stabilitás jellemzi. A préselés után (15. a ábra) a hátsó fogakat, amelyeket monolitikus
formában terveztek, hogy a terheléses hátsó régióban nagy szilárdságot és stabilitást biztosítsanak, egyszerűen festéssel karakterizálták.
Ennek a páciensnek az elülső fogai azonban több egyéni figyelmet igényeltek. Ezért ezeket a fogakat az IPS e.max Ceram rétegző kerámiával testre szabtuk (15. b–16. g ábrák ). A hátsó koronákat a cirkónium-dioxidból készült felépítményekre ( 17. a-17. e ábrák) cementáltuk egy speciális, öngyógyító kompozit (Multilink Hybrid Abutment) segítségével. Az APC ragasztási protokollt (Blatz M) követtük.
Miért fizessünk sokat egy szkennerért, ha kevesebből is a mienk lehet a tökéletes társ?
Az Eighteeth Helios 500-as pillekönnyű, gyors mint nagytestvére, ami a SOTE tesztjén köröket vert a Meditekre, pontosságban pedig nap mint nap bizonyít implantációban, betéttervezésnél és orthodonciai felhasználásban is
Egyetlen "hátulütője", hogy szoftverében kevesebb a beépített szerkesztési opció, de ha Blenderrel dolgozunk vagy .stl fájlt küldünk a fogtechnikának, akkor ez nem hátrány.
KÖNNYŰ ÁLLVÁNNYAL ÉS ASUS ROG X16
LAPTOPPAL 5 999 990 FORINT
Az Eighteeth Hyperlight könnyű, gyors, egyszerűen kezelhető. Mindössze 0,4mm-es fókuszpontjának köszönhetően tűéles, pontos, magas felbontású röntgenfelvételeket készíthetünk vele
Ergonomikus kialakítása lehetővé teszi, hogy egy kézzel kezeljük, miközben nem kötünk kompromisszumot a biztonságban sem.
Fókuszpont: 0,4mm
Súly: 1,8 kg
Expozíciós idő: 0,02-2 mp
@volomshop
A restaurációkat bepróbálták, és kisebb módosításokat végeztek a proximális és okkluzális kontaktusokon. A fogpótlásokat abrazív gumiinstrumentumokkal fejeztük be, és a felületeket üvegeztük. A fogakat gumidámmal izoláltuk, és a fogpótlásokat egy ragasztási protokoll szerint (Multilink Auto-mix) cementáltuk (18. a-18. c ábra). Az implantátumcsa-
varokat 35 N nyomatékkal meghúztuk (19. a és 19. b ábra), és a csavarnyílásokat ideiglenesen lezártuk.
A féléves utóvizsgálatokra, amelyek fogászati profilaxisra, röntgenfelvételekre és az éjjeli védők beállítására terjedtek ki, rendszeresen sor került.
A magabiztos mosolygás nem csak álom!
Vágj bele a láthatatlan fogszabályozásba
és mosolyogj bátran!
Mosolyogj felszabadultan!
Hogy mi szól a ClearCorrect mellett?
kényelmes
hatékony
víztisztán áttetsző, vagyis
teljesen láthatatlan
fémmentes
könnyű tisztítani
A modern digitális és a bevált hagyományos gyártási módszerek együttes alkalmazása számos új lehetőséget nyit meg. Lehetővé teszi számunkra, hogy a régit és az újat öszszehangoljuk, és mindkét világ legjobb tulajdonságait kihasználjuk.
Az injekciós/préselős technika hűen adja vissza a tervezett kerámia restaurációkat formájuk és funkciójuk tekintetében. Az, hogy a viaszminták milyen módon készülnek a folyamat
során, lényegtelen. Mindazonáltal a digitális gyártási lehetőség lehetővé teszi a laboratóriumok számára a hatékonyabb munkavégzést, mivel kiküszöböli az időigényes manuális viaszkészítési folyamatot.
A préselt kerámiával készült restaurációkat végső soron a pontos illeszkedés, a hosszú távú stabilitás és a kivételes esztétika jellemzi.
A wax-upok digitális gyártására való áttérés lehetővé teszi a fogtechnikai laboratóriumok számára, hogy gyorsabbá és hatékonyabbá váljanak, és a restaurációk véglegesítésére koncentrálhassanak.
Forrás: An Ivoclar Academy Publication
Szeretne folyamatos, kiszámítható és tervezhető, passzív bevételre szert tenni?
Mit nyújtunk?
Közel 20 éves szakmai tapasztalatot a fogászat, mind a fül-orr-gégészet területén.
Legmodernebb, digitális rendszerű csúcstechnológiás gépekkel a legmagasabb minőségű tűéles felvételeket.
Páciensközpontú szemléletünknek köszönhetően gyors és precíz ügyintézést, az ország 4 frekventált helyén lévő centrumainkban. (4,8 google értékelés több, mint 1000 páciens visszajelzése alapján)
Negyedéves legális pénz visszafizetést a páciens forgalom után, vagy bónuszpontokat, amit beválthat bármilyen fogászati eszközre amire csak szüksége van!
Folyamatos CBCT képzéseket!
Orvoslátogatóink bármikor felkeresik Önt, amennyiben gondjuk lenne.
Mit jelent ez nekünk?
Örömünkre szolgál, hogy folyamatosan Önnel együtt fejlődhetünk és kamatoztathatjuk szakmai tudásunkat.
Amennyiben felkeltettük érdeklődésüket, és szeretnének partnerünkké válni, vagy már partnerünk, de nincs még szerződése, kérem keressen engem bizalommal az alábbi elérhetőségemen: iroda@vipdental.hu
Tisztelettel
Gyakran nagy kihívást jelent, ha egy páciens frontfog-régiójának ellátásához különböző fogpótlási fajtákat kell alkalmazni. Az előállítás módját, a vázanyagot és a falvastagságot az ilyen esetekben intelligens módon össze kell hangolni, hogy végül a teljes fogpótlás harmonikusan integrálódjon a természetes fogazatba. Erre a célra olyan leplező kerámiákra van szükség, amelyek intuitívan és rugalmasan használhatók fel, egyben kiemelkedő a színhűségük. A kerámiáknak lehetővé kell tenniük ugyanakkor a bázisréteg könnyű kialakítását, valamint a szín- és fényjáték minden jellegzetességének helyreállítását. Marcio Breda fogtechnikus azt mutatja be, hogyan állítja helyre fémkerámia-koronákkal és fémmentes non-prep héjakkal az esztétikai régiót a VITA VMK Master leplezőrendszer (VITA Zahnfabrik, Bad Säckingen, Németország) segítségével.
Egy 34 éves páciens kereste fel dr. Henrique Breda Rafalski fogorvosi rendelőjét. A hölgy elégedetlen volt felső frontfogainak esztétikai megjelenésével. A 11-es és 21-es fogon lévő fémkerámia koronák élettelennek hatottak, színük nem illeszkedett megfelelően a fogazatba. A fogak tengelye, a metszőélek és a fogív, valamint a morfológia nem voltak harmóniában egymással. A 11-es fogon lévő fémcsapos csonkfelépítmény alapján a középső metszőfogakat új fémkerámia koronákkal kellett ellátni. A cervikális régió vörös-fehér esztétikájának helyreállítását kerámia vállal kellett helyreállítani. A 12-es és 22-es fogakra non-prep héjakat terveztünk, hogy egyenletesebbé tegyük a fogívet. A koronák és a héj készítéséhez a VITA VMK Master leplezőkerámiára esett a választás.
A módszeres színhelyreállítás érdekében a fog alapszínét és az egyéb színárnyalatokat és -effekteket több lépésben állapítottuk meg. Elsőként a VITA classical A1-D4 színkulcscsal azonosítottuk a fog A1-es alapszínét, és azt fotografikusan rögzítettük. Ezután a VITA VMK Master LUMINARY és TRANSLUCENT színminták segítségével meghatároztuk a természetes fogazat transzlucens színárnyalatait és fluoreszcens effektjeit. Végül a 11-es és 21-es koronákat helyi
érzéstelenítést követően átvágtuk és leemeltük. A fogcsonkokról ismételt preparálás után lenyomatot vettünk. Az oldalsó metszőfogakon tűzálló csonkokkal mestermintát készítettünk. A minta szkennelése után megterveztük a nem nemesfém koronavázakat a 11-es és 21-es fogakhoz, amiket Ceramill Motion 2 marókészülékkel Ceramill Sintron-ból csiszoltunk ki (mindkettő gyártója Amann Girrbach, Pforzheim, Németország).
A nem nemesfémből készült koronavázakat vékonyan bevontuk VITA NP BOND-dal, ami egyfajta HTE-pufferként feszültségmentes és tartós leplezést biztosít. A mosóégetéshez kiegészítésként VITA SPRAY-ON OPAQUE POWDER A1 (OP1) port vittünk fel. A mélységi fluoreszcencia fokozása céljából az első dentinégetést VITA VMK Master LUMINARY 1 (fehér) és 4 (világos barnás-narancs) anyagokkal végeztük. A dentinmagot ezt követően anatómikusan redukáltuk, A1 DENTINE réteget vittünk fel rá, majd approximálisan TRANSLUCENT 5 (T5: világoskék), mamelon régióban pedig NECK 4 (N4: narancs) masszákkal individualizáltuk. A koronák zománctartományát fehéres ENAMEL 1 (70%) és neutrális TRANSLUCENT 4 (30%) keverékével építettük fel. A rétegtechnikával előállított non-prep héjakhoz úgyszintén az ENAMEL és TRANSLUCENT masszákat használtuk, a fent megadott keverési arányban.
(30%)
PRECIZITÁS Német mérnökök és fogászati szakemberek dolgoznak együtt, hogy tökéletes protetikai rendszert alkossanak.
GYORSASÁG Idő- és pénzmegtakarítás a fogtechnikusok és a fogorvosok számára.
A koronákat a második dentinégetés után finom gyémánttal és gumipolírozóval átdolgoztuk, majd incizális régióban VITA AKZENT Plus EFFECT STAINS 01 (ES01) festékkel fehérre karakterizáltuk. A színtelítettséget approximálisan ES02 (creme) és ES07 (khaki) festékkel fokoztuk. A színrögzítő égetést, majd a VITA AKZENT Plus GLAZE-zel végzett glazúrégetést követően a végső polírozást finom gumipolírozóval végeztük.
A héjat hasonlóképpen festékekkel és polírozással véglegesítettük. A klinikai bepróbálás után a négy fogpótlást adhezív módon rögzítettük. A fém koronavázakra készült leplezés és az adhezíven a zománcra cementezett, VITA VMK Master-ből készített non-prep héjak abszolút harmonikus végeredményhez vezettek az esztétikai zónában.
MADE IN GERMANY Tradicionálisan magas minőség.
Az összes ismert implantátum rendszerrel kompatibilis.
A páciens teljesen elégedett volt a rendkívül esztétikus eredménnyel.
IPS
Magas Precizitású Implantációs RendszerInnovatív Komponensek
MÁRKAKOMPATIBILIS
GYÁRTÓ
Az összes ismert implantátum rendszerrel kompatibilis.
MADE IN GERMANY Tradicionálisan magas minőség.
GYORSASÁG
Idő- és pénzmegtakarítás a fogtechnikusok és a fogorvosok számára.
Német mérnökök és fogászati szakemberek dolgoznak együtt, hogy tökéletes protetikai rendszert alkossanak.
A száj és a fogak nemcsak a táplálkozás és az emberi kommunikáció fontos részei, de esztétikai szempontból is jelentős szerepük van. Az egészséges fogak és fogíny egészségünk meghatározó elemei, a hibátlan, derűs mosoly pedig minden egyén kívánsága.
Az íny leggyakoribb gyulladásos megbetegedése a gingvitis vagy fogínygyulladás, mely legtöbbször a rossz szájhigiénia következményeként jön létre. A begyulladt és vérző fogíny a rossz lehelet mellett a betegség első jele. A gingvitist tehát gyógyítani kell, mert különben a gyulladás előrehaladott állapotában a gyulladt íny gócként szerepel, mely gócbetegségeket okozhat.
Az egészséges ember szájában folyamatosan jelen vannak mikroorganizmusok, amelyek szaporodása az íny gyulladásához vezet, és idővel a fogágy többi része is érintett lesz, paradontitis jelentkezhet. A tasakok mélyebbek lesznek, ezért a gyulladás ráterjed a mélyebb paradontális szövetekre is. A fogágygyulladás következtében a fogakat rögzítő szövetek elbomlanak, a betegség pedig átterjedhet az állkapocs csontszövetére is. Ennek együttes következménye, hogy a fog tartószerkezete meggyengül, elbomlik, így a fogak meglazulnak, majd kihullanak.
A hialuronsav a szervezet természetes anyaga és az egészséges fogíny fontos komponense.
Alkalmazása a fogászatban:
– csökkenti a szájnyálkahártya-irritációt
– megvéd a fertőzésektől
– felgyorsítja a sebgyógyulást és szövetregenerációt – csökkenti a fogínyvérzést, a foggyulladást és a duzzanatot
A kutatások kimutatják, hogy a hialuronsav fogászati alkalmazása jelentős mértékben hozzájárul az ínybetegségek megakadályozásában és gyógyításában.
A gyógyszertárakban és speciális üzletekben különböző formákban és kiszerelésben már 3 éve kapható a Gengigel, ami az egyedüli hialuronsav-alapú készítmény.
A termékcsalád használata egyszerű, gyermekek, terhes nők és cukorbetegek egyaránt használhatják. A hialuronsav tartalma miatt hatékony megoldás az alábbiakra:
– ínyvérzés
– gingivitis (fogínygyulladás)
– parodontitis (fogágybetegség)
– megsértett íny (sebészeti beavatkozás, foghúzás, fogpótlás után)
– korona, híd, fogprotézisek miatt irritált szájnyálkahártya
Ezen tulajdonságai alapján bátran állíthatjuk, hogy a Gengigel az egészséges fogíny receptje.
Forrás: Medis sajtóanyag
Hialuronsav
Az egészséges fogíny receptje
Az egészséges fogíny receptje
Az egész csalàd számára
gél/szájöblögető oldat/szájspray/baby gél
■ csillapítja a vérzést
■ elősegíti a sebgyógyulást a szájüregben
■ elősegíti a szövetregenerációt
■ csökkenti a duzzanatokat
■ védi a szájnyálkahártyát a fertőzésektől
misike a fogzás időszakában
opron,
Loupes and lights
1135 Budapest, Frangepán u. 66/B. +36 1 236 4000 | info@newyorkdental.hu www.newyorkdental.hu
Fogászati kereskedelem
• AMPRI: színes e.h. eszközök;
• Anger: matricák, ideiglenes koronák, fényvezető ék;
• ASA: műszerek, egyszer használatos eszközök;
• BISCO: cementek, bondok, kerámiajavító;
• FKG: endodonciai eszközök;
• DTS: színes műanyag lenyomatkanalak;
• NEOLIX: gépi gyökérkezelő tűk;
• OLIDENT: tömőanyagok, sav, bond;
• ORO CLEAN: fertőtlenítőszerek;
• PROMEDICA: cementek, tömőanyagok, alábélelők;
• SCORPION: scaler végződések, implant tisztításhoz is;
• SHOFU: cementek, tömőanyagok, csiszolók;
• SS White: koronafelvágó, karbid- és gyémántfúrók;
• TIDI: védőmaszkok;
• WHITEWASH: fogkrém, fogkefe;
• ZHERMACK: A- és C-szilikon, alginát lenyomatanyagok.
Közvetlenül az importőrtől:
HERBODENT Kft.
✉ 1025 Bp., Szépvölgyi út 52. % 325-7129
%/fax 325-7220, mobil: 30/203-6957, 30/241-5737 e-mail: herbodent@herbodent.hu, www.herbodent.hu