2023. VI. évfolyam
12. szám

2023. VI. évfolyam
12. szám
A FOGÁSZAT INFORMÁCIÓS MAGAZINJA
„Engem mindig a különleges megoldások és a korszerű technológia vonzott…”
Gyorsított polikromatikus IV. osztályú restaurálás
Digitális fogászati fogszínmeghatározás
Egyszerűen szép: természetes harmónia préskerámiával (IPS e.max Press)
A 10 éves Alpha Implant Kft. a hagyományos munkafolyamatok mellett a digitális workflow minden lépésére megoldást kínál. A digitális technika fejlődése a fogászati piacon is egyre nagyobb teret hódít. Ebben nyújt
segítséget a 6 lépésből álló Alpha Digital Workflow, amely az intraorál scanneléstől a kész fogmű behelyezéséig terjed. Ne zárja magát keretek közé, lépjen az Alpha Implant Kft.-vel a Digitális Szabadság Világába!
2023-ra a fogászati szektor – reményeink szerint – fel tudja dolgozni a Covid-19 okozta nehézségeket, a háború mellett elszabaduló inflációt, és már tervezi az idei év fejlődési lehetőségeit. Mindanynyian abban bízunk, hogy időben alkalmazkodni tudunk majd a változásokhoz, és stabilan tudjuk vezetni a vállalkozásinkat!
A tavalyi év sokunk életében hozott különböző nehézségeket, mégis elmondhatjuk, hogy mindenképp jobb volt, mind a 2020-as és a 2021-es esztendő, amikor a létbizonytalanság, a járványtól való félelem uralta a napjainkat. Az idegenforgalom szépen megindult, de a korábbi számok, a vendégéjszakák még nem érik el a 2019-es év adatait. A nagy rendelők már próbálnak teljes kapacitással üzemelni, a fogtechnikai laborokban is visszatért a folyamatosság, a fogászati kereskedők jelentős része pedig jobb évet zárt 2022-ben, mint korábban.
A fogászati rendelők és fogtechnikai laborok az elmúlt 2-3 évben főleg a fejlesztéseket állították előtérbe, amelyhez számos pályázat és egyéb forrás is kedvező konstrukciókat kínált. 2023-ban – tudomásunk szerint – is lesznek új pályázati források, melyekről a kereskedelmi vállalatok részletesebb információkat tudnak adni. Az új források bevezetése idén már bizonyosan ismét növekedési spirálba helyezi majd ezt a szektort!
Az infláció elérte a fogászati ágazatot is, a vállalkozások az euro változásától, gyengülésétől függően azzal találkoznak, hogy az árak – a mindennapi élet mellett – itt is jelentősen és folyamatos változnak, emelkednek. A fogászati rendelők is kénytelenek az áraikat emelni, egyre több rendelő, ún. „piaci alapú” árképzést vezet be. A folyamat kimenetelét még nem lehet pontosan látni, a munkaerő fluktuációja, az Európai Unió áraihoz képest alacsony magyar fogászati beavatkozások értéke - jelenleg még nem érte el a drágulás csúcspontját. Az elmúlt időszakban számos újság, cikk foglalkozott a fogászati szektorban található extra drágulási folyamattal. Ez egyelőre - a hazai rendelőkben - még nem mutatott jelentős problémát, új hívószavakkal, sok marketing munkával, reklámmal most a magyar lakosságot kell határozottabban a rendelőkbe invitálni!
Idén már 23. éve nagy energiával szervezzük, és sok munkával készülünk az őszi Dental World Nemzetkö-
zi Kongresszus és Szakkiállítás sikeres lebonyolítására, melyen reméljük, hogy az egész fogászati szakma képviselteti majd magát! Nemzetközi szinten is ismert/elismert előadók, gyakorlat-orientált képzések, továbbá sok új élmény is várja majd a látogatókat, az érdeklődőket!
A kiadó bizakodva tekint a jövőbe, a megújult tartalmaink kapcsán sok pozitív visszajelzést kapunk, melyeket nagyon köszönünk! Az elmúlt években - a nehézségek ellenére is - növelni tudtuk a kiadványaink, a magazinjaink számát, nem csökkentve azok tartalmi minőségét. 2020 óta a tematikus e-Journalok is folyamatosan megjelennek, melyek egyfajta online könyvtárként is szolgálnak az olvasóinknak. A dental. hu oldalon díjmentesen elérhetőek a korábbi tematikus online lapszámaink is.
A mostani kiadványunkban általános fogorvosi eljárások mellett az esztétika témakörével foglalkozunk.
Jó olvasást kívánok!
Laczkó Tamás, felelős kiadó
E-Journal VI. évfolyam, 2023. 12. szám
Kiadja: DP Hungary Kft.
1012 Budapest, Kuny Domokos u. 9.
Felelős kiadó: Laczkó Tamás
Főszerkesztő: Dr. Riba Magdolna
Előkészítés:
DP Hungary Kft., Sárközi András
e-mail: grafika@dental.hu
Információ, hirdetésfelvétel: Bárdos Veronika, telefon: 06-30-472-0030, 06-1-793-1874
Az újság e-mail címe: info@dental.hu
Az újság internetcíme: www.dental.hu
Terjesztés: E-mail hírlevél formájában.
A tudományos közleményeket a szerkesztőség lektoroknak adja át véleményezésre. Közlés csak egyetértő lektori vélemény, illetve a javasolt módosítások elvégzését követően lehetséges.
A cikkek szerzői vállalják, hogy az általuk elküldött írás saját forrásból származik, illetve a felhasznált anyagokat (publikációkat, illusztrációkat, képeket stb.) mindenkor pontosan feltüntetik. Írásaiknak jogi és egyéb adatvédelmi kérdéseiben felelősséget vállalnak.
A német nyelvű szakmai cikkeink magyar fordítását az Oemus Media AG Kiadó engedélyével szerkesztettük lapunkba.
A fel nem használt kéziratokat, fotókat nem őrizzük meg, és nem küldjük vissza.
A hirdetések tartalmáért nem vállalunk felelősséget. A gyártó, illetve forgalmazó cégek kérésére közzétett cikkeket keretbe foglalva közöljük és (x)-szel jelöljük, azok szakmai tartalmáért a szerkesztőbizottság nem vállal felelősséget.
ADENTALPRESSTEMATIKUSKIADVÁNYA
2022 / III.ÉVFOLYAM–ÁR:2500FT
pot az orvoskamara kifejezésével élve: „irányítási-igazodási válság” –, amiben az egészségügy járvány eleje óta őrlődött két tárca között. Igaz, sokan csalódtak, hogy az új kormányban sem lesz egészségügyi minisztérium. Őket friss ágazati egyik első megszólalásakor azzal vigasztalta, hogy az egészségügy érdekérvényesítő képességét nem az önálló minisztérium erősíti, hanem a mi
niszter személye.
bilitás érzetét erősítheti, mivel
Tanulmányozd először az elméletet, aztán jöjjön a gyakorlat, mely belőle származik
„A helyreállító fogászat lett a szenvedélyem és a mindennapi munkám”
Hagyományos teljes fogsor hatékony átalakítása
Teljes ívű rehabilitáció primer vázra ragasztott lítium-diszilikát szekunder koronákkal
Dr. Póti Lászlót kérdeztük
Dr. Póti László 2012-ben szerezte meg diplomáját a Debreceni Egyetem Fogorvostudományi Karán, a Konzerváló Fogászat és a Fogpótlástan szakorvosa.
Hét éven át a Bioanyagtan és Fogpótlástan Tanszék oktatója, magyar és angol nyelven.
„Key Opinion leader”-ként együttműködik a Kuraray Noritake és Dentsply Sirona cégekkel. Különböző szakmai kongresszusok gyakori előadója.
2018-tól saját praxissal rendelkezik.
2012-ben szerezte meg a fogorvosi diplomáját, majd ezt követően az Egyetem Fogorvostudományi Karán oktatóként helyezkedett el. Milyen tárgyakat tanított, milyen tapasztalatokat szerzett az itteni évek során?
A Debreceni Egyetem Fogorvostudományi Karának Bioanyagtan és Fogpótlástan Tanszékén kezdtem el dolgozni. Itt betegellátással, illetve oktatással foglalkoztam magyar és angol nyelven. Az egyetemen eltöltött éveknek igazán sokat köszönhetek. Számos tapasztaltabb kolléga volt rám hatással, akiknek a segítségéért egész életemben hálás leszek. Lehetőségem volt több hazai és külföldi fogorvossal párbeszédet kialakítani, tanulni tőlük. Az általuk nyújtott tapasztalat gyökeresen formálta a szemléletemet. A sokoldalú tapasztalatszerzés mellett kezdőként az egyetemi munka meghatározó előnye, hogy a bevételkényszer súlya nélkül lehet fejlődni. A zenetanulás egyik szabálya, hogy amit lassan nem tudunk eljátszani, az gyorsan sem fog menni. Ugyanez érvényes a fogászatra is, azonban egy piaci alapon működő rendelőben ez a tanulási folyamat, hosszú tá-
von nem fenntartható. Az én pályámra kezdetben jellemző volt ez a megfontolt, kimért tempó és az alapok tisztelete, amelyek nélkül ma nem lennék ugyanaz a fogorvos.
2018-ban a hallgatóság szavazatai alapján elnyerte az „Év oktatója” díjat. Mit jelentett Önnek ez az elismerés?
Hallgató koromban sokszor éreztem úgy, hogy a modern kor és technológia lehetőségeinek tárháza ellenére, az oktatási metódus sokszor száraz, mondhatni unalmas módon próbálja megismertetni a fogászatot. A szakma szeretetét így határozottan nehéz kialakítani a hallgatóságban. Egy ennyire gyakorlatias tudomány oktatásában kiemelten fontos a tananyag alátámasztása gyakorlati példákkal, jó minőségű ábrákkal, esetbemutatásokkal. Vezérelvem, hogy amit érthetően megfogalmaztak, leírtak, azt bárki képes megtanulni és hasznosítani. Az oktatás során azonban sokszor elvész a lényeg, vagy éppen csak szavak kerülnek a kiadott handoutokba. Mindig ezeket a szempontokat szem előtt tartva készültem az előa-
„ENGEM
dásaimra. Igyekeztem a legszárazabb témákat is érdekessé, gyakorlatiassá tenni. Ha valami a tankönyvben hiányzott, ott megírtam én a kiegészítő jegyzeteket. Úgy érzem, hogy elsősorban ezt a praktikus hozzáállást díjazták a hallgatók, amely számomra egy életre szóló büszkeség forrása marad.
Milyen motiváció, esetleg egyéb tényező hatására döntött úgy, hogy az eredményesen eltöltött egyetemi évek után elsősorban a gyógyító munka felé forduljon?
Véleményem szerint a hosszú távú egyetemi karrier elengedhetetlen részét képezi a kutatás, az oktatás és az egyetem logisztikájában való aktív részvétel. Az évek során ráébredtem, hogy ezek közül engem igazán csak az oktatás érdekelt. Adottságaim és érdeklődési köröm a szakma gyakorlati aspektusában teljesedtek ki, de például a cikkírás nehezemre esett. Nem sikerült olyan kutatási témát találnom, amelyről úgy éreztem volna, hogy a fogászatban végzett munkámhoz szorosan kapcsolódik. Olyan témába pedig nem akartam energiát fektetni, amelyet túl nagy távolság választ el a gyakorlattól. A környezetem és páciensek felől érkező visszajelzések arra biztattak, hogy a saját utamat kell járnom.
2019 óta a POTIDENTAL Fogászati Rendelőben főleg az esztétikai fogászat különböző megoldásaival várja a pácienseit. Mikor és milyen körülmények motiválták, hogy a fogászat szakterületeinek igen széles palettájából elsősorban az esztétikai fogászattal foglalkozzon?
Engem mindig a különleges megoldások és a korszerű technológia vonzott. Az esztétikai fogászat mint fogalom, szerintem nehezen definiálható. Annyi azonban biztos, hogy az ilyen típusú kezelések precíz elvégzése sok energiát és időt igényel, amelyre nem minden kolléga fektet be szívesen. Emellett úgy gondolom, hogy ezen a területen érvényesül talán legjobban a személyes kreativitás. Megtetszett a gondolat, hogy a nagy forgalmú rendelés helyett napi 3-4 beteggel foglalkozzak. Szeretem azt az állapotot, amikor a világ megszűnik körülöttem, és minden figyelmemet egy adott fog köti le. Véleményem szerint a héjak és a hasonló, az esztétikához kapcsolódó megoldások készítésének ez a lényege.
Egy rangos hazai szakemberrel Önről beszélgettünk egy előadás kapcsán, és többek között azt mondta: „Álomszép tömések és héjak kerülnek ki a kezei közül”. Ezzel összefüggésben egy korábbi közleményében leírtakat idézem: „Hivatásomra alkotóművészetként tekintek”. Kifejtené ezt bővebben?
Azt előrebocsátanám, hogy szerintem a fogászat, bármenynyire is szeretnénk, nem magáért való művészet. Ettől függetlenül úgy látom, hogy
Ennek természetesen funkcionális szempontból aligha van jelentősége, mégis feltölt energiával, hogy valami különlegeset sikerült létrehozni a folyamat során. Ameddig ez az élmény jelen van, addig tudom, hogy örömömet lelem a kezelésben.
Újabban a mikroszkóppal végzett gyökérkezelések is bekerültek a megoldandó esetei közé. Eddig milyen tapasztalatokat szerzett ezen a speciális szakterületen?
Ennek fő motivációja az volt, hogy felénk még csak most kezd kialakulni a referáló kultúra. Emiatt az esztétikai és a protetikai betegek ellátását egy korszerű endodontiai kezeléssel is ki szerettem volna egészíteni. Napjainkban sok túlárazott és fölösleges termék zúdul a fogorvosokra, de a mikroszkóp, úgy hiszem, kivételt képez. Akinek még nem ment el végleg a kedve a gyökérkezeléstől, annak ajánlatos tájékozódnia a mikroszkópokról, mert drasztikusan megkönnyíti a hétköznapi endodontiai esetek megoldását.
A napi gyógyító munkán kívül – tudomásom szerint – részt vesz több fogászati gyártó anyagának a tesztelésében és bemutatásában is. Hallhatnánk erről bővebben?
Lehetőségem volt a Kuraray és a Dentsply cégekkel közösen dolgozni. Ez főleg előadásokból állt, ahol az adott gyártó termékeinek gyakorlati használatát voltam hivatott bemutatni a kollégáknak. A fentieken túl, az általam dokumentált eseteket is gyakran felhasználják hasonló célokra. Ez a szerep az egyetemi kötöttségekkel sajnos nem volt összeegyeztethető, de mióta a „magam ura vagyok”, azóta szakmailag nagy segítséget jelentenek ezek a kapcsolatok. Számos nemzetközileg elismert szakemberrel kerültem baráti viszonyba, akikhez bizalommal fordulhatok tanácsért bármilyen szakmai kérdéssel kapcsolatban. Emellett egy bizonyos fokig belelátok egy-egy adott termék fejlesztésének a hátterébe, ez segít a döntésben, mielőtt valamit megvásárolnék.
„Hobbim a fogászati fényképezés, az általam végzett fogászati beavatkozások eredményeinek szakmai és művészi megörökítése” – olvasható a korábban már említett közleményében. Az érdeklődők hol találkozhatnak ezekkel a felvételekkel?
A közösségi médiában rendszeresen teszek fel fényképeket a munkáinkról. Nem igazán követek fotózási protokollokat. Amit érdekesnek látok, azt lefényképezem. A mi képeink inkább a pácienseknek szólnak, egyfajta portfólióként. Ahogy látom, mára a fogászati közösségi média aspektusa már kevésbé érdekli az embereket, de néha azért még most is teszek fel fotókat. E felvételek segítségével sok kollégával is megismerkedtem, és nem titok, hogy a pácienskör építésére is jó hatást gyakorolt. Természetesen sohasem szabad elfelejteni, hogy az interneten mindenki csak azt mutatja, ami szép és jó. Nem igazán vagyok jó véleménnyel korunk „social media”-járól, ezért törekszem arra, hogy csak a kezelésekkel kapcsolatos, professzionális, a betegek számára érthető tartalmakat tegyünk fel, és ne reklámozzunk semmit. Ma már elérhető sok kiváló oktatási célú tartalom is, de miután itt jelenleg semmilyen szakmai kontroll nincs érvényben, ezért ezeket kellő óvatossággal kell kezelni. Képeink elérhetőek a weboldalunkon, illetve a legtöbb, ismert közösségi platformon is.
Tudomásom szerint a 2022-es Dental World Esztétikai Kongresszusán előadóként is részt fog venni. Szíveskedjen röviden tájékoztatni Olvasóinkat, hogy milyen témát/témaköröket érint majd az előadásában?
Úgy látom, ez a megoldás a teljes borító koronák készítésének az alternatívája lehet. Remélem, hogy lesz, akinek meghozom a kedvét az ilyen típusú kezelések végzéséhez, és talán a tapasztaltabb kollégáknak is tudok érdekes, új nézőpontot bemutatni!
Hogyan képzeli a szakmai jövőjét, milyen tervek, célok elérésére, megvalósítására törekszik elsősorban?
Karrierem egy olyan fázisába értem, amellyel úgy érzem, elégedett lehetek. Célom az egyensúly kialakítása az életemben. Az elmúlt tíz év a fogászatról szólt. Most azon vagyok, hogy a következő tíz év ne csak arról szóljon! A színvonal biztosítása mellett elsődleges szakmai célom, hogy a rendelőnkben továbbra is megmaradjon a baráti hangulat. Üzleti növekedésre nem igazán vágyom; ahogy látom, könnyű fogorvosból vállalkozóvá válni, ami engem személy szerint nem vonz. Ettől függetlenül nem titkolt célom, hogy a nem túl távoli jövőben létrehozzunk Debrecenben egy szakmai és ergonómiai szempontból is példaértékű komplexumot.
Válaszaiból sok újszerű, egyéni nézőpontját is tükröző gondolatait ismerhettük meg, többek között az oktatásról, a kutatás és gyógyítás kapcsolatáról, örömeiről, a fogászatban rejlő új nézőpontokról, eljárásokról.
Kívánjuk, hogy még nagyon sokáig kísérje öröm a különböző kezelések sikeres megoldása során!
Köszönjük a kérdéseinkre adott válaszait.
A betétek készítéséről készülök előadást tartani. Ez a terület hallgató korom óta tetszett, és mára a rendelőnkben végzett kezelések jelentős részét teszi ki.Héjkerámiák ragasztására váró fogak.
KAVOSZ SZÉCHÉNYI LÍZING MAX+
• 5 % fix kamatozás
• 2,5 % szerződéskötési díj
• Önerő 30 %
A-dec 500
Prémium kategóriás alsó/felső karos kezelőegység
2003 ÓTA FOLYAMATOSAN ELNYERTE A LEGJOBB KEZELŐEGYSÉG FŐDÍJAT
Csak az a gyártó ad 5 év garanciát a termékére, aki biztos a gyártmánya minőségében
DELUXE vezérlés, 8+4 LED páciens lámpa, NSK NLZ LED-es mikromotor www.a-dec.com/virtual-tour www.dent-east.hu
Az A-dec kezelőegységek szervizeléséhez a vételár mindössze átlagosan 1,97%-át teszi ki az évente vásárolt alkatrész. Ebben az A-dec páratlan.
A-dec 230
Felsőkaros kezelőegység, DELUXE vezérlés, 8+4 LED vagy 4 LED páciens lámpa, NSK NLZ LED-es mikromotor
A-dec 200
Kompakt alsókaros kezelőegység
DELUXE vezérlés, 8+4 LED vagy 4 LED páciens lámpa, NSK NLZ LED-es mikromotor
„Amit ma megvehetsz, ne halaszd holnapra”
09.35–09.45 Dr. Gombos Ádám, Dr. Volom András: Megnyitó
09.45–11.30 Daniele Rondoni (Olaszország): A helyreállítás hosszú élettartama döntő kritérium a kezelési választásunkban?
Az első részben az új generációs anyagok különbségét és tulajdonságait fogjuk elemezni, bemutatva a klinikai esetek végeredményeit és hosszú élettartamát. Fontos szempont, hogy mélyrehatóan megvizsgáljuk azokat a befolyásoló tényezőket, amelyek fontosak az ideális anyag kiválasztásához az egyéni türelmi igényeknek megfelelően. Az előadó továbbá egy új megközelítést mutat be, amely nagyon egyszerűen segít Önnek a kiszámítható esztétika megteremtésében az ideális indirekt kezelésekkel készült fogpótlások előállítása során. Emellett bemutatja, hogyan javíthatjuk képességeinket és hatékonyságunkat egy ideális digitális munkafolyamat segítségével.
11.30–12.30 Dr. Ronaldo Hirata (Brazília): Esztétikus
A kompozitrestaurációkat széles körben indikálják a mindennapi gyakorlatban a hagyományos amalgám alapú anyagok kiváltása és a polimer alapú anyagok esztétikai eredményének javítása miatt. A klinikai helyzetekben a kompozitrestaurációk konzervatív megközelítésük, reverzibilitásuk és javíthatóságuk miatt jobban indikáltak, mint más lehetőségek, különösen a fiatalabb páciensek esetében. Kötelező felismerni ezeket a speciális klinikai helyzeteket.
A szakirodalomban leírt számos technika közül a rétegezési technikáról általában azt állítják, hogy reprodukálja a természetes fogazat szempontjait, és lehetővé teszi a polimerizációs zsugorodás által generált stressz szabályozását.
A rétegezési technika azonban a ragasztási eljárások, az anyagkezelés és a fogászati anatómia mélyreható ismeretét igényli, ami összetetté és időigényessé teszi. Az ilyen hátrányok leküzdése érdekében a polimerkémiai technika fejlődését és új rétegezési technikákat javasoltak. Például alacsony zsugorodású kompozitokat fejlesztettek ki az üregek tömeges kitöltésére, amelyek kiküszöbölik a hagyományos rétegezési technikákhoz szükséges lépéseket, ami jelentősen leegyszerűsíti a kompozitgyanta-restaurációs eljárásokat. A tömeges kitöltés lehetővé teszi, hogy a restauráció egy vagy két rétegben épüljön fel, a tömeges kitöltésű kompozit típusától és tulajdonságaitól függően. Ez az előadás a kompozitok mai indikációit tárgyalja, és kitér a kompozitrétegezés alapvető technikáira (dentin/kromatikus/akromatikus zománc), valamint a kevesebb réteget használó módosított technikára és az alacsony zsugorodási sebességű kompozitokra. Az egyes technikák lépésről lépésre történő sorrendjét ismertetjük, valamint az egyes technikák kihívásait és lényegét. A NYU-n végzett kutatás során kapott eredmények is bemutatásra kerülnek.
12.30–14.00 Ebédszünet
A fogászat és a rögzített fogpótlás megváltoztatja protokolljait. A digitális forradalom egyre inkább betör a mindennapi fogászati gyakorlatba. A digitális munkafolyamatok felé tett első lépések már évtizedek óta ismertek. A teljesen digitális protokoll azonban nem volt lehetséges mindaddig, amíg nem rendelkeztünk a szájüregi rehabilitációkhoz elég pontos digitális szkennerekkel. A szkennerek mellett új, nagy pontosságú 3D nyomtatókra, maróeszközökre és anyagokra is szükségünk volt. Néhány évvel ezelőtt nem tudtunk nagy fesztávolságú hidakat készíteni kompromiszszumok vagy kézi rétegezési technikák nélkül. Ma már tudományos bizonyítékunk van arra, hogy a digitális szkennerek pontosság tekintetében közel állnak az analóg lenyomatokhoz. Az új anyagok kivételes esztétikai és mechanikai tulajdonságokkal rendelkeznek, és rétegezés nélkül használhatjuk őket teljes ívű restaurációkhoz. Bizonyos korlátozásokkal ma már áttérhetünk a teljesen digitális munkafolyamatra. A legtöbb fogorvos ismer néhány analóg protokollt, és képesnek kell lennie arra, hogy ezeket a digitális fogászatban is használja. A protokollok nagyon fontosak a prediktív terápia szempontjából. Az előadás a digitális protokollt egy komplex klinikai eseten keresztül mutatja be, ami egy teljes szájrehabilitáció.
15.30–17.30 Dr. Arthur Volker (Amerikai Egyesült Államok):
stratégiák a direkt anterior kompozitokhoz
A mátrix célja, hogy alakformálóként működjön, és megkönnyítse a anyagok, például az amalgám vagy a kompozit gyanta elhelyezését. Számos lehetőség áll rendelkezésre az anyagválasztás és a terjedelem tekintetében. Ez a kurzus a különböző mátrixkészítési lehetőségeket tárgyalja az anterior területen alkalmazott kompozitrestaurációkhoz. Konkrétan a fém- és műanyag matricákról lesz szó, valamint a szekcionált és a „teljes kontúrú” anyagokat is megvitatjuk.
Célkitűzések:
1. Megismerkedés az esztétikát meghatározó tényezőkkel
2. A kompozit lehetőségek, valamint a mátrixválasztás meghatározó tényezőinek megvitatása a elülső fogazat
3. Rendszerezze a preparálási protokollokat, mint például az izolálás és a részecskeabrázió a szuvas és nem szuvas restaurációknál
4. A közvetlen kompozitinjektálás protokolljának megértése.
09.35–09.45 Dr. Gombos Ádám, Dr. Volom András: Megnyitó
09.45–11.45 Dr. Giedre Kobs (Litvánia): Az ember egészének kezelése okklúzión keresztül
A fogászatban a legnagyobb kihívás az összetett esetek megközelítése. Hogyan kezeljük az ember egészét, nem csak az egyes fogakat az okklúzión keresztül? Fogorvosként befolyásolhatjuk-e a fogcsikorgató és fogösszeszorító erőket? Egy fogorvos számára nincs értékesebb, mint a súlyos TMD-páciensek kezelésében szerzett hosszú távú gyakorlat. A fájdalom mindennapos kezelése adja meg a választ. Megadja a kezelés helyes irányát. Ha ismeri a helyes irányt, mindig sikeresen kijuttathatja páciensét a fájdalomból. És igen – van egy protokoll. Ebben az előadásban megosztom Önnel 24 éves tapasztalatomat, amit több mint 18 000 beteg ellátása és kezelése során szereztem.
11.45–12.45 Prof. dr. Mutlu Özcan (Svájc): Fogászati anyagok a helyreállító fogászatban: szubtraktív vagy additív?
A technológiai fejlődés előrehaladásával és a szubtraktív és additív gyártási módszerek bevezetésével új anyagok kerülnek bevezetésre a fog-, implantátum- és nyálkahártya-alapú rekonstrukciókhoz, valamint a csontpótlókhoz. Miközben a bioanyagok területén bekövetkező fejlesztések a fogászat szinte minden szakterületére hatással vannak, a klinikusoknak el kell sajátítaniuk az anyagtípusok, alapvető fizikai és kémiai tulajdonságaik, valamint biokompatibilitásuk ismeretét. Ebben az előadásban áttekintést adunk a fogászatban használt új anyagok jelenlegi klinikai lehetőségeiről, korlátairól és jövőbeli kilátásairól, különös tekintettel a fémekre, polimerekre, hibridekre és kerámiákra.
12.45–14.15 Ebédszünet
14.15–16.00 Dr. Jordi Manauta (Olaszország): Szín és forma, a tökéletes anterior kompozitok titkai – a Layers 2 és a Style Italiano módszer Gyakran úgy gondolják, hogy a rendkívül esztétikus fogpótlások elkészítéséhez kifinomult és összetett technikákra van szükség, amelyeket csak néhány kivételesen tehetséges személy képes elsajátítani. Én azonban azt mondom, hogy a tökéletes, nagy sikerarányú fogpótlások elérése valóban mindenki számára lehetséges. Megközelítésünk az egyszerűséget és a logikát hangsúlyozza a racionális színegyeztetés elvégzésében, biztosítva a kiválasztott szín pontos reprodukcióját és a hibákból való tanulást. Napjainkban a megfelelő anyagok kiválasztása, a megfelelő rétegezési technikák alkalmazása és a morfológia kezelése elengedhetetlen ahhoz, hogy pácienseink fogainak legapróbb árnyalatait is utánozzuk, miközben elkerüljük a felesleges kihívásokat, vagy ahogy én szeretem nevezni, a szenvedő fogorvoslást. A 27 év tapasztalatai során felhalmozott tippek és trükkök kincsesbányája áll rendelkezésemre, amelyet szívesen megosztok Önökkel.
16.00–17.30 Dr. Andrea Franzo (Olaszország): A RESTO-PROSTHETIC dilemma: hogyan változtatott meg mindent az adhézió?
Az adhezív esztétikai anyagok és technikák kulcsszerepet játszanak a modern fogászatban, elmozdítva a konzerváló és a protetikai fogászat közötti határokat. Manapság az esztétikát és a funkciót egyaránt helyreállíthatjuk a hátsó és elülső régióban, direkt vagy indirekt technikákkal, a megmaradt fogszerkezet megőrzésével és jelentős időmegtakarítással. Az előadás célja, hogy rámutasson a klinikai bizonyítékokon alapuló protokollok különböző aspektusaira, amelyekkel számos klinikai helyzetet kiszámítható módon lehet megoldani.
09.50–10.00 Dr. Gombos Ádám, Dr. Volom András: Megnyitó
10.00–12.00 Dr. Marco Maiolino (Olaszország): A „repedt” fogak kódexének megfejtése
A repedések az egyik legnagyobb kihívást jelentő és legvitatottabb téma a fogászatban. A különböző vélemények és kezelések miatt ez a téma nem egyértelmű az átlagos klinikus számára. Az előadás során az előadó rávilágít a repedések mögött álló összes mechanikára, arra, hogy hogyan lehet elkerülni őket a való életben, valamint a sikeres kezelésükre vonatkozó stratégiákra.
12.00–12.30 Dr. Takács Ildikó:
Napjaink versenyképes fogászati egészségügyi ágazatában széleskörűen elterjedt a lézeres kezelések alkalmazása. Továbbá lassan önálló tudományágként az esztétikai beavatkozások is teret nyernek a fogászatban is, ld.: mosolytervezés, makroesztétika, kozmetikai fogászat. Nemzetközileg is egyre nő az igény, mind a páciens, mind a kezelőorvos oldaláról, hogy egyszerre teljeskörű ellátást kapjon/kínáljon. A Fotona LightWalker® lézereket a maximális sokoldalúságra tervezték, így a kemény- és lágyszövetes fogászati kezelések széles választékán túl, számos népszerű arcesztétikai kezelést is lehetővé tesz, a hideg és nagyon felületes bőrfelújítástól, a szövettel való mély hőkölcsönhatásig az öregedésgátló és fiatalító hatások érdekében.
12.30–14.00 Ebédszünet
14.00–15.15 Dr. Salem Jusic (Bosznia-Hercegovina): Az anterior fogak különösen esztétikus kompozitrestaurációi
Előadás témái:
- A mosoly architektúrája (az elülső fogak morfológiája)
- Előkészítés (tippek a láthatatlan restaurációkhoz)
- Eszközök és mátrixok
- Hogyan válasszuk ki a megfelelő kompozitot?
- Kompozitrétegezés (mono, duo, polyshade)
- Befejezés és polírozás (tippek és trükkök a magasfényűséghez)
15.15–16.30 Dr. Maciej Czerwiński (Lengyelország): Mérföldkövek a restauratív kezelésben
Ezen az előadáson az izolációs stratégiákat ismerheti meg:
- A rubber dam és a teflonszalag szerepe a hatékony izolálásban
- Előkészítési stratégiák és felkészülés az izolációra
- Shape Factor és a gingivectomia
- Mátrix kiválasztási rendszer és a TeflonFloss technika.
Várjuk szeretettel a lenti élményhelyszíneken a kiállítás 3 napja alatt!
Platina szponzor
A DENTAL WORLD KIÁLLÍTÁS SZPONZORAI:
Arany+ szponzorok
Arany szponzorok
Ezüst szponzorok
(Pontos időbeosztás és teljes program a dentalworld.hu oldalon)
Dr. Vojth László: Azonnal terhelhető implantátumokkal végzett, feltárás nélküli, transzgingivális eljárással végzett implantáció, csontminőség függvényében, előzetes CBCT felvételek alapján
Dr. Takács Ildikó: NightLase® – lézeres horkolás kezelés
Dr. Takács Ildikó: SmoothEye® – lézeres szemhéj feszítés és ránctalanítás
Dr. Andy Boiangiu: Egy új, forradalmi sinuslift eljárás ami minimalizálja a kockázatot
Dr. Berkei Gábor: Sinus lift és laterális gerinc augmentáció egy időben a kiszámíthatóbb implantációért
Dr. Tálos Marianna: Irányított parodontális regeneráció sticky bone-nal
Katona Zsolt: BlancOne 10 perces rendelői fogfehérítés
(Pontos időbeosztás és teljes program a dentalworld.hu oldalon)
Dr. Andrea Franzo: Minimally Invasive Preparation for Posterior Indirect Restorations
Dr. Mile Churlinov: Printing a Donor for Tooth Autotransplantation
Dr. Marco Maiolino: Restoring Black Triangle with Bioclear Matrix
Dr. Maciek Czerwinski: TeflonFloss Technique – The Revolution in Matrix Adaptation
Dr. Michal Ganowicz: Bio-Bulkfill in Practice – Treatment of Deep and Complicated Caries without Root Canal Treatment
Dr. Nuno Pinto: Flash New Wave of Reciprocating
Dr. Ronaldo Hirata: Composite Layering of Front Incisor (Class IV) with Empress Direct
Dr. Arthur Volker: Solutions for Non-Invasive Black Triangle Resolution with Bioclear Matrices and Direct Composite
Dr. Döbrentey Zsolt: II. osztályú üreg direkt restaurálása (matricázástól a barázdafestésig)
Dr. Sárossi Benedek: Digitális fogászati munkafolyamatok - Titánbázis megoldások
Dr. Kútvölgyi Ida: Sebészeti- és lágylézer kezelések a fogszabályozásban
Dr. Maurer-Morvai Bence: Gyakorlati tippek és trükkök a mindennapi kofferdam használathoz
Dr. Radánovics-Deáki Dóra & Dr. Radánovics-Nagy Dániel: A praxis sikerének egyik kulcsa: a felkészült fogászati asszisztens
Domonkos Szilárd: Tippek és trükkök Medit szkennerel
Kajdy Dóra: Azonnal ható, fájdalommentes érzéstelenítés
Békési-Varga Mónika: Szájüregi betegségek innovatív kiegeszítő terápiája probiotikummal. Miért javasoljuk a mindennapos szájvíz helyett a BioGaia Prodentist?”
Nyilassy Ádám: Magyarországra is megérkezett a NEOSS implantátum rendszer
Nyilassy Ádám: Kefalometriai elemzések a Ceph Assistant szoftverrel
Fenyő Márta: A polarizált fényterápia szerepe az implantáció előkészítésében és a beültetést követő szövődmények
megelőzésében
Bardi Erik: Miért fizetnél többet, ha utazhatsz nagykeráron is!
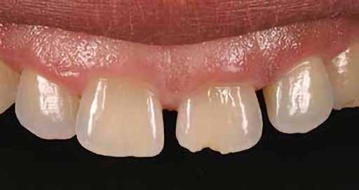
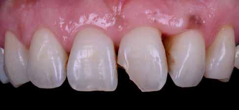
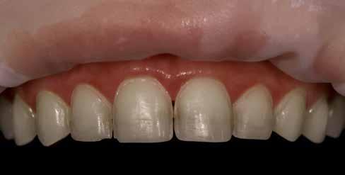
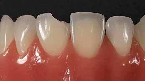
Egy teljes mosoly megtervezésekor vagy javításakor – akár közvetlenül, akár közvetve – a klinikus vagy a technikus alkotó, akinek feladata egy művészi remekmű létrehozása. Egy metszőfogtörés esetében azonban a klinikus kevésbé alkotó, mint inkább kovácsmester, akinek a környező és szomszédos fogazat minden optikai szempontját le kell utánoznia. Ez kihívást jelenthet az árnyalatválasztás szempontjából, mivel a legnagyobb színvariabilitás jellemzően a metszőfogak metsző harmadában található. Ez különösen igaz a fiatalabb páciensekre, akiknek gyakran van kiemelkedő áttetszőségük és opacitásuk ebben a régióban.
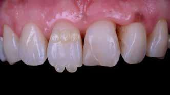
Több taktika is segíthet az összetett tömegek rétegződésének kezelésében ezekben a forgatókönyvekben. A palatális stent használata ennek egyik kiszámítható módja (1–4. ábra). Ennél a technikánál a törött területről egy modellen wax-up vagy mock-up készül, és egy gyurma PVS stentet vagy indexet állítanak elő. Ebből egy vékony réteg erős, félig áttetsző kompozit – tipikusan nano- vagy mikrohibrid – kerül a stentre, amely a szájpadlásfelületet reprodukálja. Ezt követően különböző opacitású és transzlucenciájú kompozitrétegeket rétegeznek az arcfelületre, így létrehozva egy zökkenőmentes restaurációt (1. a–c. ábra). Mivel viaszfelvételből készül, az okkluzális tényezőknek jól ellenőrizhetőnek kell lenniük. Ennek a technikának az a hátránya, hogy szükség van egy mock-upra, akár intraorálisan, akár egy modellen történő wax-up segítségével. Ez időigényes lehet, és második időpontot igényelhet, amely nehéz vagy nem praktikus, különösen gyermek- vagy sürgősségi páciensek esetében. Ezenkívül kis törések esetén a kompozittömegek behelyezése nehezebben megoldható, mint nagyobb törések esetén. Egy alternatív megközelítés az „üres vászon technika”, amely gyorsított polikromatikus helyreállítást biztosíthat kisebb törések, sürgősségi esetek vagy gyermekpáciensek esetében. Ez egy kromatikus mikrohibrid alapot használ, amelyet szükség esetén tinták vagy opakok követnek, és egy vékony réteg akromatikus mikrokitöltésű kompozit fed. A cél a törés elfedése és egy élethű, a környező fogazat transzlucenciájának és opacitásának megfelelő helyreállítás biztosítása.
Kromatikus mikrohibrid vászon
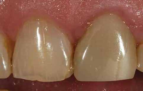
A restaurálás alapjául vagy vásznaként egy kromatikus mikrohibridet használnak. A restauráció körülbelül 80–85%-a mikrohibrid kompozitból áll. A kromatikus mikrohibrid előnye kettős. Először is, nagy hajlítószilárdsága segít ellenállni az okkluzális terhelésnek (5–6. ábra) Másodszor, a mikrohibrid magas opacitása segít elfedni a töréseket (7–8. ábra)
A mikrohibridekkel az a probléma, hogy nem tartják jól a polírozást, és idővel tompának tűnhetnek.
A különböző áttetszőségek és opacitások reprodukálására szolgáló kompozittestek helyett folyékony fedőfestékeket és árnyalatokat használunk ehhez a funkcióhoz.
A bemetszési perem polikromatikus megjelenése a zománc bukkális és lingvális felszínén keresztül visszavert vagy áteresztett fény függvénye. Ez egy optikai hatás és nem ana-
A 9. számú fog törött részén metszési halo. A #8-as restauráción észlelt incisalis halo tipikus klinikai megjelenése.
tómiai jellemző; az áttetsző vagy opálos jelenség akkor figyelhető meg, amikor a fény a zománc kristályos szerkezetén belül visszaverődik. Amikor a fényt ugyanezen a terü-
leten áteresztik, a metszőfog szélén opacitás látható (9. ábra) Ezt nevezik ellenopaleszcens hatásnak vagy, amely még gyakoribb, „metszőfog halónak” (10. ábra).
Az erős opaleszcencia jellemzően erős ellenopaleszcenciával jár. A 2. ábra szemléltetésképpen a 9. fog törésének metszőleges szélén megfigyelhető inceszális halót mutatja. A #8-as fogon egy hagyományosabb opaleszcencia/kontrapaleszcencia mintázat látható.
A transzlucencia megjelenése szürke, lila vagy kék színárnyalatokkal reprodukálható. A metszőfogak halójának kiemelésére fehér vagy árnyalatú opakert lehet használni. Megjegyzendő, hogy folyékony opakkerek is használhatók a kalcifikációk vagy a maverick hatások reprodukálására, és segíthetnek a törésvonalak elfedésében (11. ábra)
kompozit
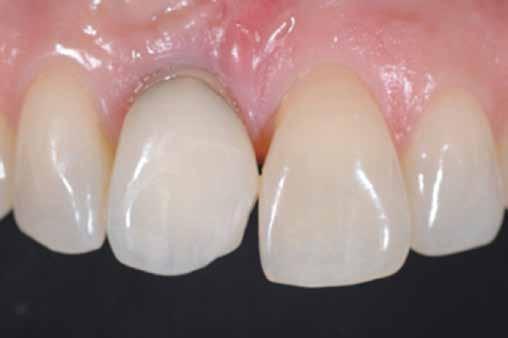
A restauráció végső és leginkább fakális része egy mikrotöltött kompozit lesz, amely könnyen polírozható és idővel megőrzi fényét (12. ábra) A 3. ábra a 9. fogon lévő réteges kompozitburkolat kilencéves követését mutatja. A páciens nem járt fogorvosnál mióta a burkolat elkészült. Az azonos szájüregi körülményeknek kitéve a mikrohibrid tompa megjelenése a distoincisalis részen ellentétben áll a mikrotöltött kompoziton megfigyelhető magas csillogással.
A mikrotöltésű kompozitok röntgenelnyelőek, különösen a mikrohíddal (13. ábra) összehasonlítva, amely a röntgenfelvételeken diagnosztikai problémát jelenthet, különösen az interproximális területeken. Mivel eredendően gyengék, a mikrotöltelékeket nem szabad olyan területekre helyezni, amelyek okklusális terhelésnek lesznek kitéve (6. ábra). Csak kis mennyiséget kell használni, az okklusális terhelés a sokkal erősebb mikrohibrid kompozitra marad.
Egy páciens elégedetlen volt a 8. fog incisofaciális felszínén lévő kéthetes restaurációval, mert úgy gondolta, hogy a központi metszőfogak nem illeszkednek egymáshoz. A vizsgálat során megállapították, hogy bár az egyszínű kompozit valóban megegyezett a fog alapszínével, további színre (árnyalatra) volt szükség a szomszédos fog utánzásához (4. ábra).
A fogakat nehéz latexmentes gumidámmal (Isodam, 4D Rubber) izolálták. A meglévő kompozitot eltávolítottuk; egy kromatikus mikrotöltésű kompozitot helyeztünk fel, és egy fehér színt (Creating Color, Cosmedent) vittünk fel egy #8-as K-résszel, vízszintes mozgással, hogy a vízszintes mintázatot lemásoljuk (5. ábra), ezután egy akromatikus mikrotöltésű kompozitot adtak hozzá. A 6. ábra az azonnali posztoperatív eredményt mutatja, a 7. ábra pedig a négyéves utóvizsgálatot, amely a mikrotöltött kompozit megmaradt fényét mutatja.
ELŐKÉSZÍTÉS
A törés lefedése két lépésből áll.
Az első előkészítés egy 1–1,5 mm hosszú és 0,5 mm mély, a törés perifériája mentén elhelyezkedő, általában kerek gyémántfúróval végzett ferdítés. Ez a preparálás segít elfedni a törés nyomait. A letörést mikrohíddal fedjük le.
A második preparátum egy hosszú ferde – gyakran végtelen ferde vagy csillag alakú ferde (14. ábra) –, amely segít abban, hogy a mikrotöltött kompozit beleolvadjon a fogtestbe. A hosszú fazont lánggyémánttal készítik el, és szabálytalan mintázatban helyezik el.
A 8. ábra a kiindulási helyzetet mutatja a 9. fogon lévő MILF-töréssel. A durva és éles területeket elsimítottuk, és egy kerek gyémántfúróval létrehoztuk az átmeneti zóna se-
kély ferdeségét (9. ábra). Egy lánggyémántot használtunk a végtelen ferdeség kialakításához (10. ábra).
KOMPOZIT RÉTEGEZÉS
A restauráció nagy részének újraalkotásához kromatikus mikrohibridet (Renamel Microhybrid, Cosmedent) – ebben a példában az A1-es árnyalatot – használtunk. A mikrohibrid a teljes palatális oldalt fogja alkotni, és az arc felőli oldalon az átmeneti zóna ferde részének teljes egészét le kell fednie. Nem tanácsos, hogy a mikrohibrid túlmenjen a chamfer szélén, mert akkor nem marad hely a mikrotöltött kompozit számára, és a restauráció ezen része idővel tompának tűnhet, amely optikai diszharmóniát okozhat.
Ne feledje, hogy ha a chamfer nincs teljesen lefedve, a törés továbbra is látható lehet. Szükség esetén folyékony opakert lehet hozzáadni a törésvonal további elfedésére. Így jön létre az „üres vászon”. A felesleg vagy az okklúzió ezen a ponton beállítható. Ez szárazon történik, majd a restaurációra töltetlen gyanta (Complete Unfilled Resin, Cosmedent) kerül. A 11. ábra a behelyezett és beállított mikrohibridet mutatja. Mivel a szomszédos központi metszőfogon nagy mennyiségű metszőfog-transzlucencia, valamint egy kiemelkedő metsző-
fog-halo volt, egy vékony, éles szondával (Matt’s Probe) szürke színt (Creative Color, Cosmedent) helyeztünk a metszőfog harmadára, ügyelve arra, hogy elkerüljük a metszőfog szélét (12. ábra). A mikrohibrid eredendő opacitása gyakran szolgálhat a fog szélén a metszőfogak halójaként, bár ha szükséges, a metszőfogak halóját tovább lehet fokozni folyékony opakkerrel. Ebben az esetben a fehér és A1 opaquer 50/50 arányú kombinációját egy gyantatartóban keverve, a szonda segítségével vittük fel az incisalis szélre (13. ábra). A 14. ábra a mikrohibrid kompozit felett a kikeményített árnyalatok és opakkerek hatását mutatja, amely polikromatikus hatást mutat. A tinták és opakok metsző hatásának fokozása és a tartós fényezés érdekében kis mennyiségű achromatikus mikrotöltésű kompozitot (Light Incisal, Cosmedent) helyeztek fel végső rétegként. A kompozitnak el kell fednie a lánggyémánt által létrehozott végtelenített ferdeséget, és csak a restauráció arcfelületére kell kerülnie, nem helyezhető el semmilyen okklúziós területre. A 15. ábra a felhelyezett, formázott mikrotöltött kompozitot szemlélteti. (Kromatikus kompozit is használható, ha a metszéshatás nem kifejezett.) Korongok és polírozók kombinációjával a restaurációt a szomszédos fog utánzása érdekében befejezték (16. ábra).
A blank canvas technika gyorsított módszert jelent a polikromatikus IV. osztályú törések megoldására olyan esetekben, mint a trauma (felnőtt és gyermek), valamint a kis törések, ahol nehéz lehet a kompozittömegek manipulálása, vagy ha a szájpadlásrögzítés tarthatatlan.
Az 1. táblázat a technika előnyeit és hátrányait sorolja fel. Megjegyzendő, hogy nanotöltésű vagy nanohibrid kompozitok is használhatók ehhez a technikához, ha kisebb készletre van szükség, bár ez némi esztétikai és funkcionális kompromisszumot jelenthet.
A cikkünkben bemutatásra kerülő eset ellátása során preparációt héjak készre vitele során a platinafólia technikát alkalmaztuk.
kívül vékonyak, és ezáltal a végleges rögzítésük előtt jelentős olyan minimál invazív kezelési eljárásnak számítanak, amely elérni. A fent leírtak alapján bátran
preparációt nem igénylő héjak készítése mellett döntöttünk. A alkalmaztuk. Annak ellenére, hogy az elkészítésre kerülő héjak rendjelentős törésveszéllyel állunk szemben, összességében mégis
amely segítségével kifogástalan esztétikai eredményeket lehet
javasoljuk e módszer alkalmazását.
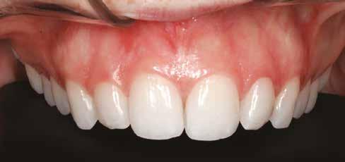
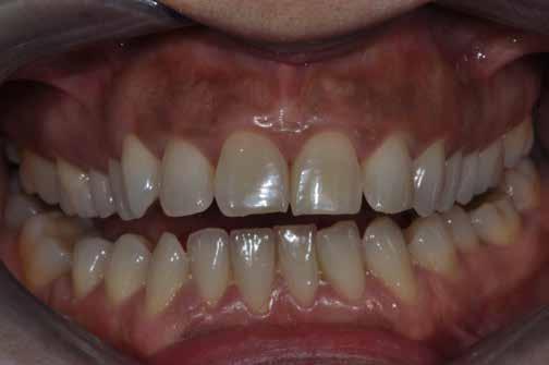
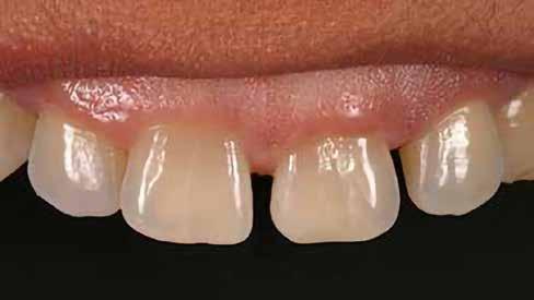
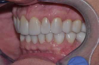
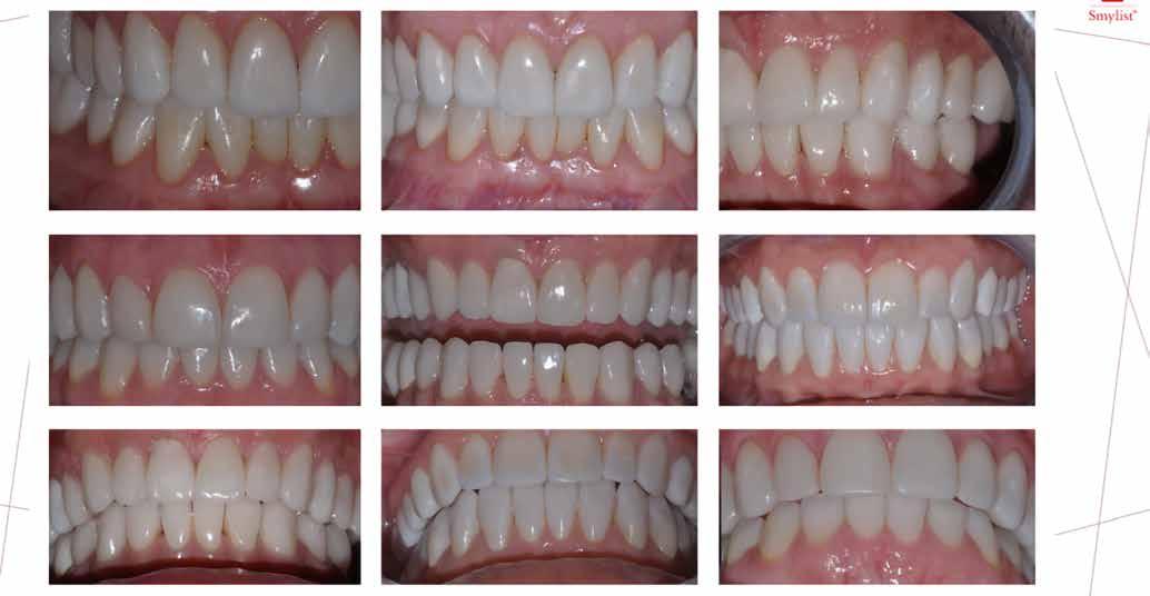
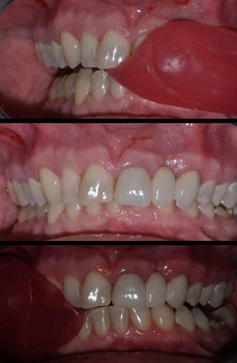
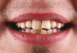
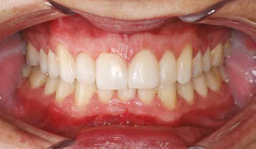
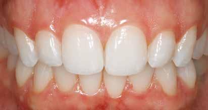
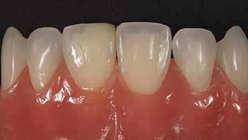
A fogászati kezelések során manapság már nem kizárólag az esztétikai megjelenés helyreállítására törekszünk. Sokszor a kedvezőtlen esztétikai megjelenés hátterében álló okok következményes módon a fogazat funkcionális működését is károsítják, így a kezelések során ezeknek a helyreállításával is foglalkoznunk kell. A különböző funkcionális és esztétikai diszkrepanciák kezelésére számtalan módszer létezik, ám ezen fogászati beavatkozások mindegyikében közös, hogy a kivitelezésük során nagyon szoros együttműködésre van szükség a kezelést végző fogorvos és a munkáját segítő fogtechnikus között. Az alábbi esetbemutatás során egy fiatal hölgypáciens fogazatának héjak alkalmazásával történő esztétikai és funkcionális rehabilitációját szeretnénk ismertetni.
sára is szükség van (2. és 4. ábra).
A 19 éves hölgypáciens azzal a kéréssel jelentkezett a rendelőnkbe, hogy szebb fogakat szeretne. Az első konzultáció alkalmával megkérdeztük, hogy mi zavarja leginkább a fogazatának jelenlegi megjelenésében, valamint azt is megbeszéltük vele, hogy milyen végeredmény elérése esetén lenne maradéktalanul elégedett. Ebben az esetben a kezelési célokat az alábbiakban határoztuk meg:
A páciens fogazata esztétikai megjelenésének és funkcionális működésének a lehető legtöbb, saját foganyag megtartása mellett történő helyreállítása (1. és 3. ábra).
A lehető legideálisabb esztétikai végeredmény elérése érdekében néhány esetben a fogak alakjának módosítá -
A kezelés megtervezése során kifejezett jelentősége van annak, hogy jó kommunikáció legyen a páciens, a fogorvos és a fogtechnikus között. A páciens leendő fogazatának természetes megjelenését a kezelésben részt vevő team szakmai felkészültsége, gyakorlati tapasztalata és a kezelés sikerességének irányába történő elkötelezettsége biztosítja. A beavatkozások megkezdése előtt megtörtént a páciens anamnézisének a felvétele, valamint a klinikai kivizsgálását is elvégeztük. Ezt követően lenyomatokat készítettünk a kiindulási állapotról, majd a kiindulási helyzetet extra- és intraorális fotók segítségével is rögzítettük (13. a-c. ábra).
A kezeléstervezés egyik legfontosabb lépése a mock-up elkészítése. A mock-up alapjául szolgáló wax-up-ot (felviaszolás) is ugyanolyan részletességgel kell a fogtechnikusnak elkészíteni, mintha azok már a végleges fogpótlások alapjául szolgáló mintázatok lennének. A mock-upnak nagyon pontosan kell illeszkednie, valamint a tervezett fogpótlás meg-
jelenését is rendkívül élethűen kell reprezentálnia. Ahhoz, hogy a páciens mock-uppal kapcsolatos első benyomásai kedvezőek legyenek, a mock-up színének a páciens „szemfehérjének” színével meg kell egyeznie. A kezelési cél páciens által történő elfogadása és a tervezett eredménnyel kapcsolatos „wow-effektus” kialakulása nagyban függ a páciensben az első megtekintés során kialakult első benyomásoktól.
Az eddigi tapasztalataink szerint a páciensek jelentős többsége egyértelműen kifejezi az elégedettségét, ha a mock-up megfelel az eredeti elképzeléseiknek. A bemutatásra kerülő esetben is ez történt. A tervezett végeredmény megtekintését követően a páciens azonnal kérte az általunk javasolt kezelési tervben ismertetett beavatkozások elvégzését. A héjak alapanyagául az Ivoclar Vivadent által gyártott A1-es színű Telio CS kerámiát javasoltuk. Az anyagválasztás hátterében az állt, hogy ez az anyag nagy keménységgel rendelkezik, valamint az, hogy a felszínét nagy simaságúra lehet polírozni. A páciens rendkívül fiatal életkora is azt a terápiás koncepciót erősítette, hogy a kezelés során lehetőség szerint kizárólag non-invazív beavatkozásokat alkalmazzunk.
A különböző kezelési lehetőségek ismertetése során három eltérő terápiás megoldást vázoltunk fel számára:
• Állcsont-orthopédiai kezelés;
• Kompozittal történő direkt felépítés;
• Non-prep és minimál invazív előkészítést igénylő héjakkal történő ellátás.
A különböző terápiás lehetőségek bemutatása során a kezelésekkel járó lehetséges előnyök és hátrányok is ismertetésre kerültek.
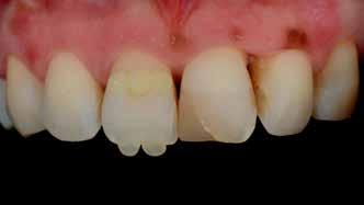
A páciens már kezdetben is rendkívüli érdeklődést mutatott a preparálást nem igénylő (non-prep), héjakkal történő ellátással kapcsolatban. Ennek a terápiás modalitásnak az előnyei közé tartozik, hogy a fogakat egyáltalán nem, vagy csak minimál invazív módon kell preparálni, nincs szükség ideiglenes héjak készítésére, a héjak alapanyagául szolgáló kerámia nem hajlamos az elszíneződésre, nem jellemző a beavatkozások elvégzését követően jelentkező posztoperatív szenzitivitás, valamint hogy ezzel a módszerrel rendkívül kedvező esztétikai végeredményt lehet elérni. A fenti előnyök rendkívül meggyőzően hatottak a páciensre. A döntése során azt is figyelembe vette, hogy amennyiben ezeket a viszonylag költséges restaurátumokat választja, akkor ez a kezelés végösszegét is jelentős mértékben befolyásolja.
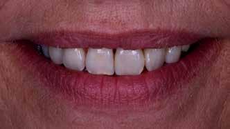
A kezelés során az jelentette a legnagyobb kihívást, hogy a héjakkal ellátott fogak élethűen utánozzák a természetes fogazat megjelenését. A fogpótlás színének, valamint a restaurátumok felszíni textúrájának és alakjának harmonikusan kell a páciens arcesztétikájához és karakteréhez illeszkednie.
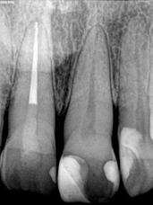
A tényleges protetikai ellátás megkezdése előtt a páciens mosolygás közben látható fogait otthoni fogfehérítés keretei között a kérésének megfelelő A1-es fogszín eléréséig fehérítettük. A fehérítés során a későbbiekben héjakkal ellátásra kerülő fogak színén nem változtattunk. A fogak előkészítése részeként csupán a két felső nagymetsző (1.1,2.1) incizális élét kellett kismértékben redukálni. A többi felső front fog (1.3,1.2,2.2,2.3) nem került preparálásra.
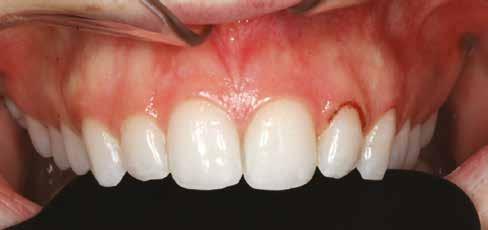
A platinafólia technikát 1896 óta alkalmazzák. Napjainkra az eredeti eljárás már kismértékben módosításra került, de lényegében ugyanazzal a módszerrel történik a platinafóliára készülő koronák és héjak elkészítése. A minimál invazív fogászat egyre szélesebb körben történő elterjedésének köszönhetően ez az eljárás a reneszánszát éli. A pácienseink egyre gyakrabban szeretnék a fogaik alaki, színi vagy helyzeti rendellenességeit a lehető legkisebb saját foganyagveszteség árán korrigáltatni. Az eljárás során 0,025 mm vastag 99,9%-os tisztaságú platinafólia kerül alkalmazásra. Amennyiben a megfelelő technikai háttér és a beavatkozások elvégzéséhez szükséges elméleti és gyakorlati szaktudás is rendelkezésünkre áll, akkor semmi sem állhat az utunkba a pácienseink új mosolyának kialakítása során.
A módszer első lépéseként a gipszből kiöntött csonkokat platinafóliával borítjuk (5. ábra). Az adaptálását követően a felhelyezett fóliát óvatosan eltávolítjuk, felhevítjük, majd ismét visszahelyezzük a csonkokra. Ezt követően történik meg az első kerámiaréteg felvitele (Waschbrand). Az első égetés során csupán egy nagyon vékony réteg kerámia kerül a fólia felszínére (6. ábra). Amikor az égetést követően ezt
a kezdetleges kerámiavázat visszahelyezzük a csonkokra, a kerámia anyagában vékony repedések alakulnak ki. A végleges restaurátum elkészítéséhez szükséges kerámia „köpeny” ekkor áll készen a további kerámiarétegek felvitelére és kiégetésére (opaker réteg, dentin- és zománcmassza felvitele) (7-10. ábra). A készülő fogpótlás végső formai megjelenése rétegenként kerül kialakításra.
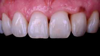
A második égetés során szintén csupán egy nagyon vékony réteg transzlucens opalmassza kerül felhelyezésre. A restaurátum formai megjelenésének és a felszíni textúrák kialakítására csak ezt követően kerül sor. A fényégetés során nem alkalmazunk glazúrmasszát. A készre vitel során elérni kívánt, magas fényű polírt kézi eszközök alkalmazásával alakítjuk ki. A restaurátumok végső kidolgozását követően a platinafóliát egy csipesz segítségével óvatosan eltávolítjuk, majd a kifejezetten vékony héjakat a kontroll mintára helyezzük. Ezt követően a pótlások megfelelő illeszkedésén kívül a funkcionális elmozdulások közben kialakuló érintkezéseket és a kontaktpontokat is ellenőrizzük. Az ilyenkor esetlegesen szükségessé váló korrekciók elvégzésére a Ducera® LFC (Dentsply Sirona) kerámiaanyagot használjuk. A kész munka fogorvosi rendelőbe való szállítása előtt kifejezett jelentőséggel bír az elkészült restaurátumok gondos becsomagolása. Az átadni kívánt fogpótlások sérülésmentes szállíthatóságának biztosítása elengedhetetlen az eddigi munkánk védelme szempontjából.
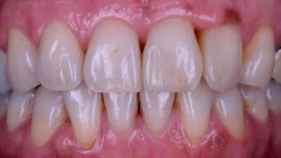
A héjak átadását követően kialakuló állapot valósághű módon történő bemutatása érdekében próbapasztát alkalmaztunk (Try-In-Paste; Variolink® Esthetik Try-In-Paste, Ivoclar Vivadent) (11. ábra). A próba során ellenőrizzük a héjak színét, formáját és transzparenciáját. A próbapaszta alkalmazásának egyik lényeges pontja, hogy a paszta színe egyezzen meg a végleges beragasztás során alkalmazni kíván ragasztóanyag színével. A héjak végleges rögzítése során mindig adhezív rendszereket használunk.
A preparálást nem igénylő héjak általában nagyon vékonyak, és sajnálatos módon ebből adódóan a végleges átadásuk előtt történő előkészítés során könnyen eltörhetnek. Csupán a páciensek saját fogain történő végleges rögzítés révén kapják meg azt az alátámasztottságot, amely a végleges töréssel szembeni ellenálló képességüket biztosítja. A fogpróba során a héjakat egyesével a fogakra helyezzük, és ellenőrizzük a pontos illeszkedésüket, valamint az approximális kontaktpontok megfelelőségét. Amenynyiben mindent rendben találtunk, úgy hozzákezdhetünk a héjak adhezív módszerrel történő rögzítéséhez szükséges előkészületek elvégzéséhez. Első lépésként a héjak elhorgonyzásul szolgáló fogak abszolút izolálását követően, meggyőződünk a ragasztási felület leszáríthatóságáról. Ezt követően az adhezív rögzítés során felhasznált fogfelszínt – az alkalmazni kívánt adhezív rendszer
RENDELJE MEG A SCHULZE LABORTÓL!
Több mint 100 éves tapasztalat!
INLAY, ONLAY ARANY KERÁMIA
ARANY LEMEZ
ARANY KOMBINÁLT MUNKA
LEMEZ ARANYOZÁS
GALVÁN MUNKÁK KESZÍTÉSE
ELÉRHETŐSÉG:
+36 20 366 10 80
schulzefogtechnika@gmail.com
Több mint 30 éves szakmai tapasztalat
Minden ami virtuális tervezés
Küldje el a lenyomtatot akár intraoral scan formájában és mi megtervezzük illetve legyártjuk a kívánt fogpótlást !
cirkónium-dioxid, PEEK, lítium-diszilikát, PMMA, kompozit
Minden ami 3D nyomtatás
Az általunk vagy az Ön által tervezett vázakat, lemezeket 3D nyomtatással készítjük el !
CoCr és Ti 3D nyomtatása Teljeskörű support Precíziós utómunkálat
Minőség, pontosság, szakértelem. A fogtechnikai újdonságok úttörői !
nak megfelelően – előkészítjük (orthofoszforsavval történő savazás, lemosás, szárítás és bond réteggel történő fedés). Ezzel egyidejűleg a ragasztásra kerülő héjak is előkészítésre kerülnek (hidrofolysavval történő savazás, lemosás, szárítás, szilanizálás, bond réteggel történő fedés, és végül az alkalmazni kívánt ragasztóanyag felvitele). Ezután a héjakat a fogak felszínén egyesével pozicionáljuk, majd néhány másodpercen keresztül polimerizációs lámpa segítségével megvilágítjuk. Ezt követően a kifolyó ragasztófelesleget eltávolítjuk, majd elvégezzük a restaurátumok végső polimerizálását. A héjak végleges rögzítését követően az esetlegesen visszamaradt ragasztómaradványok eltávolításra kerülnek, valamint ellenőrizzük az okklúzió és artikuláció közben létrejövő fogérintkezéseket. Az optimális esztétikai eredmény biztosítása érdekében kiemelt jelentősége van a papillák helyreállításának (rózsaszín esztétika). A modern fogorvoslás egyik kiemelt célja a fehér- és rózsaszín esztétika közti harmonikus egyensúly megteremtése. A papillák színe, nagysága és szimmetrikus megjelenése meghatározó szerepet tölt be a rózsaszín esztétika kialakításában. Az íny lefutása ugyancsak rendkívül jelentős mértékben befolyásolja a páciens fogazatának esztétikus megjelenését.
Manapság egyre gyakrabban találkozhatunk olyan páciensekkel, akik már a kezelések megkezdése előtt informálódnak a számukra elérhető kezelésekről, és ennek megfelelően jól definiált igényekkel érkeznek a rendelőnkbe. A páciensekkel történő megbeszélések során nagyon fontos, hogy részletesen felvilágosítsuk őket az általuk preferált kezelések előnyeiről és esetleges hátrányairól, valamint szintén
előnyös, ha egyéb terápiás alternatívákat is tudunk kínálni számukra.
A cikkünkben bemutatásra kerülő eset ellátása során preparációt nem igénylő héjak készítése mellett döntöttünk. A héjak készre vitele során a platinafólia technikát alkalmaztuk. Annak ellenére, hogy az elkészítésre kerülő héjak rendkívül vékonyak, és ezáltal a végleges rögzítésük előtt jelentős törésveszéllyel állunk szemben, összességében mégis olyan minimál invazív kezelési eljárásnak számítanak, amely segítségével kifogástalan esztétikai eredményeket lehet elérni. A fent leírtak alapján bátran javasoljuk e módszer alkalmazását.
Forrás: Cosmetic dentistry 2021;4 12-15
IPS
Magas Precizitású Implantációs RendszerInnovatív Komponensek
MÁRKAKOMPATIBILIS
GYÁRTÓ
Az összes ismert implantátum rendszerrel kompatibilis.
MADE IN GERMANY Tradicionálisan magas minőség.
GYORSASÁG
Idő- és pénzmegtakarítás a fogtechnikusok és a fogorvosok számára.
Német mérnökök és fogászati szakemberek dolgoznak együtt, hogy tökéletes protetikai rendszert alkossanak.
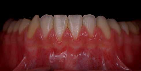
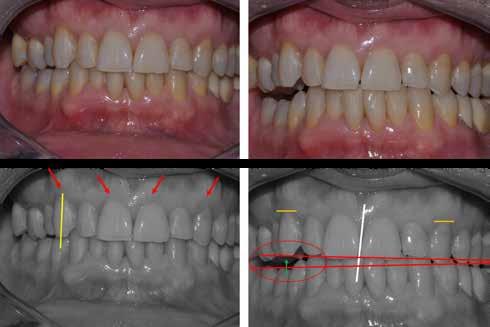
Dr. Csillag MáriaA komplex esztétikai munkák készítésekor óhatatlanul funkcionális megoldásra is váró esetekkel találkozunk, amelyek nagy többségében temporomandibuláris ízületi fájdalmakkal járnak, és diszfunkciókkal járó kórképeket is kezelnünk kell. A fogak érintkezésének kialakításakor így nem elegendő az esztétikai irányelveket alkalmaznunk, hanem egy komplex szemléletrendszerre, ezen belül az okklúzióról tanult ismereteinkre is szükségünk van.
Minden rendszer, probléma akkor lesz átlátható és megfejthető, ha több szemszögből is vizsgáljuk (1. kép). A képen ugyanaz a formarendszer látható más-más perspektívából szemlélve: egy kör, melynek középpontján egy egyenes halad át. Az egyik oldalról keresztként látható, a másik oldalról egy kör, közepében pont figyelhető meg. A helyes fogérintkezések kialakításakor is célszerű több szempont szerint megvizsgálni a helyzetet, és igénybe venni a megoldásokhoz különböző diagnosztikai, illetve megvalósítási módszert is. Így segítségünkre lehet az egyedi középvonal-rendszerek is-
frontfogak esztétikailag is kellemetlen megjelenést biztosítanak, ugyanakkor mivel a frontfog stop nem elégséges, így az állkapocs előrecsúszását eredményezi, majd a fogak a nagymetszőkön támaszkodva további funkcionális problémát is okoznak. A fogérintkezés problémái az izomzatban is jelentkeznek, a kompenzációk szinte azonnal láthatók az arcon, később a test izmain, a testtartáson is. Különböző fogérintkezési problémák izomkompenzációs mintázata teljesen típusos megjelenésű, leolvasható a testtartásból, sőt az arcról is.
merete, az arcredő diagnosztika, az izomdiagnosztika (Smylist besorolás), a TMI-ről alkotott tudásunk, a CT/MRI vizsgálatok, az egyedi artikulátorok és a miotómok alkalmazása, esetlegesen arcívek használata, továbbá a digitális tervezés is (2. kép). A Smylist Módszer például összetett szemlélettel közelíti meg az okklúzió kérdését. A maxilla fogainak állását, elhelyezkedését az arckoponyából számolva tervezi meg, a mandibula fogainak érintkezését pedig az izomdeprogramálással meghatározva hozzárendeli a már kialakított maxilláris fogakhoz. Az okklúziót egyetlen helyes pozícióban tudja elképzelni, ahol minden izom feszülésmentes. Minden egyes paraméternek, dőlésnek jelentősége van mind az esztétikai, mind pedig a funkcionális téren. A láthatóan nem esztétikus megjelenés biztosan rejt magában funkcionális problémát is. Például egy kijjebb álló szemfog esztétikailag sem ad megfelelő látványt, de laterális stop és szemfogvezetés hiánya miatt funkcionális gondot is fog okozni. A rövidre tervezett
Ahhoz, hogy esztétikai munkánk jelentőségét, az okklúzió kialakításának felelősségét fel tudjuk mérni, mindenképpen a fogak és a fogakat körülvevő csontozat felépítéséig kell visszamennünk. Mindenekelőtt azt kell látnunk, hogy minden szervünk, minden egyes testrészünk valójában egy élő test részegységeként fogható fel, amelyben különböző sejtek dinamikus tevékenysége figyelhető meg, a sejtek életciklusuktól függően állandóan változó közeget adva, életteret biztosítva, milliónyi funkciót ellátva, valójában egy önálló struktúrát alkotnak. Nincs ez másképpen a fogak és a maxilla, valamint a mandibula egységének szemlélésekor sem. A csontozatot felnagyítva folyamatosan változó közeget figyelhetünk meg az oszteoklasztok, oszteoblasztok, oszteociták meg nem szűnő működése kapcsán is. Kollagéntermelés, ásványi anyagszállítás, csontlebontás egyidejű jelenléte tapasztalható. Ha ezeket a folyamatokat, a sejtek működését, nyüzsgő világukat kisfilmként néznénk, bizonyosan elgondolkoznánk azon, hogy ebbe az élő, folyamatosan változó struktúrába, nyüzsgő világba hogyan és milyen módon szólhatunk bele a fogak érintkezésének megváltoztatásakor, illetve hogyan tudjuk ezt a kialakult harmonikus egységet és funkciót megőrizni. Ebbe a dinamikusan változó közegbe kapcsolódnak bele fogaink egy speciális ízületi rendszerrel, az ún. gomphosissal (3. kép). Minden egyes fogat, fogfelszínt is érintő változás erre az ízületi egységre hat. Az „ízületre” ható erők kompenzálását a gyökérfelszínen tapadó, periapikális térben található szalagok (periapikális ligamentumok) végzik, azaz nem csak a fogat rögzítik ebben a térben. Valójában, amikor a fogak érintkezését, a statikus és a dinamikus
okklúziót alakítjuk ki, illetve a helyes artikulációt biztosítjuk, akkor nem teszünk mást, mint egy többízületes egység kialakítását végezzük egy folyamatosan változó közegben (4. kép). Vagyis 2x átlagban 24 (gyökerek számától függ) gomphosis ízület helyes működését próbáljuk biztosítani statikus és változó közegben a kialakításra váró komplex beavatkozásokkal a fogak érintkezéseinek kialakítása során. Ha ebbe belegondolunk, akkor talán teljesen másképp látjuk a fogak érintkezését, az okklúzió kérdését és problematikáját is. Az élő szövet válaszreakciókat ad. Ahogy a periapikális terület nyomást érzékel, változások indukálódnak a csontban is. A tengelyirányú erők a fogak túlterhelődéséhez vezetnek, a fogak a parodontális résbe nyomódva az ott futó idegeket, ereket összenyomva, a gyökérhártyát terhelve, akár a fogak elhalásához is vezethetnek. A fogakat oldalirányból
érő erők azonban a fogak egyik oldalán az oszteoklasztok, másik oldalán az oszteoblasztok működése révén csontbontást és csontépülést eredményeznek. Ezt a sejtaktivitást használja ki valójában a fogszabályozás a különböző készülékek alkalmazása során előidézett fogmozgatások kapcsán. A kérdés csupán az, hogy vajon ezek a fogmozgások megfigyelhetők-e máskor is. A válasz igen egyszerű, és logikai úton megtalálható. Abban az esetben, ha a fogakat aszimmetrikus erők érik, megindul a fogvándorlás. Ilyen lehet az állkapcsot tartó izomzat aszimmetrikus működése következtében történő izomegyensúly megbomlása, amelynek következtében a fogakat érő erők aszimmetrikussá válnak. Az állkapocs fogai egyik oldalon jobban fogják nyomni a maxilla fogait. Ez az aszimmetria eredményezi azt, hogy egyes fogakat, fogcsoportokat oldalirányú, kiegyenlítetlen erők
is érhetik. A sejtaktivitás nyomás-húzás hatására történő megváltozása miatt egyik oldalán csontlebomlás, másik oldalán csontépülés lesz megfigyelhető. Ennek következtében a fog, fogcsoportok elmozdulnak, egymással való érintkezésük, okklúziójuk minden időpillanatban más és más lesz. Ez az elmozdulás elsődlegesen a maxilla fogain figyelhető meg. A fogak vesztibuláris irányba tolódnak és idővel intrudálódnak is, amelynek következtében az állkapocs – fenntartva a maxilla fogaihoz történő kapcsolódás lehetőségét – rotálódik és el is billen. Ezt a folyamatot a mandibula fogainak folyamatos elmozdulása kíséri, végül egy teljes alsó-felső fogazatra jellemző fogmigrációs-mintázat figyelhető meg a szájban, az állkapocs íveken. Tehát egy bal szemfog ektópia vagy helytelenül kialakított korona, héj képes egy teljes balra rotációs folyamatot előidézni, ami idővel balra billenéssel is kombinálódik, és a folyamat az ízületi vápának a remodellálódásához is vezethet. A páciens fogainak okklúzióját vizsgálva tökéletesnek tűnő fogsorérintkezést kapunk az éves vizsgálatokon, amelyhez később társulnak csak a TMI fájdalmak, a gnathológiai problémák, miközben a fogak lassú mozgása miatt az okklúzió egy lassú dinamikájú folyamatot tükröz. Az izom aszimmetrikus működésének hatására létrejövő fogelmozdulást a Smylist Módszertanban „önfogszabályozás”-nak, „selfortho phenomenon”-nak nevezzük. Ebből a jelenségből logikusan következik, ha szeretnénk egy stabil okklúziót, fogérintkezést kialakítani, akkor a fogak érintkezését csakis az izmok kétoldali szimmetriája esetén lehet biztosítani, amiben a fogakat nem éri olyan erő, ami miatt elmozdulnának. Ez egy teljesen ideális eset, amelyben az összes rágóizom, mimikai izom, a nyelv és az állkapocs alatti izom is feszülésmentesen működik, sem spazmust, sem megnyúlást nem mutat. Ahogy már említésre került, a helytelen okklúziós viszonyok a rágóizomzatra és a mimikai izomzatra is hatnak.
Sajnos a megoldásra váró komplex eseteink többségében azonban aszimmetrikus izomműködéssel állunk szemben, amelyben egy dinamikusan változó fogérintkezést figyelhetünk meg egy-egy időpillanatban. Így az adott okklúzió a legtöbb esetben illúzió, hiszen folyamatosan változik, azonban a fogmigrációs folyamat lassú dinamikája miatt ez a változás csak évek alatt érzékelhető (5. kép). Így szigorúan véve, minden fogazatot érintő beavatkozás – amennyiben nincsen megfelelő izomszimmetria – csupán egy instabil rendszerben való építkezési kísérlet, amelynek eredménye logikai alapon is a 24 gomphózis ízületi komplexum adott elemeinek – egy-
egy fog vagy gyökér körüli terület, vagyis ízület – biztos túlterhelése lesz. (Ennek mintázata egyébként az izomműködés aszimmetriájából, az állkapocs rotációjából adódóan teljesen típusos a Smylist besorolás szerint). A fogorvos feladata tehát minden egyes komplex és nem komplex beavatkozás esetén az lenne, hogy ezt az adott izomszimmetriát a megfelelő okklúzális viszonyok kialakításának biztosítása érdekében megteremtse, illetve megtartsa. A Smylist rendszerben az állkapocs nyugalmi helyzetében létrejövő fogérintkezést, okklúziót BOP-nek (Balanced Occlusal Position) nevezzük. Minden más izomspazmussal járó állkapocs helyzetben létrejövő fogérintkezést FOP (Forced Occlusal Position), azaz forszírozott, erőltetett állkapocs pozíciónak hívjuk. Ennek az izomaszimmetriának a jelei rögtön mutatkoznak nem csak a rágóizomzatban, hanem a mimikai izomzatban is, izomelváltozásokat okozva az arcon. Ezek az izomeltérések jellemzőek lehetnek egy-egy izomcsoportra, illetve az arc egészére is típusos képet adnak: masseterhipertófia, mentális izom megnagyobbodása, zygomatikusz izom aszimmetrikus ellapulása (6. a-b-c kép) Minden BOP-ben, azaz harmonikus, izomszimmetriában kialakított fogérintkezésben készülő komplex esztétikai beavatkozás, fogszabályozási terápia, implantprotetikai megoldás stabil, problémamentes eredményt ad, hiszen aszimmetrikus erők nem fognak fellépni a pótlások átadása után. Azonban, ha a munkák FOP-ben készülnek, akkor számítani kell a héjak, koronák lepattanására, az implantációs pótlások esetleges kimozdulására, a parodontális esztétikai műtétek siker-rátájának csökkenésére, a fogszabályzó kezelések eredményének kollapszusára. Ezekben a helyzetekben a fogakat jelentős aszimmetrikus izomerő éri. Ahhoz, hogy ez ne történjen meg, az izmokat deprogramálni kell, amelyre többféle módszer is létezik. Az izomdeprogrammálást követően egy olyan állkapocshelyzet jön létre, amely viszonyításként megmutatja, hogy a fogaknak hol kellene érintkezniük (6. kép). Ebben a relációban szükséges kialakítani a helyes fogérintkezéseket, a frontfogak, szemfogak közötti stopokat, a Spee- és a Wilson görbéket, a hármas egységeket, továbbá a fogak ötpontos érintkezéseit (7. a-b kép). Fontos ezen kívül a megfelelő overbite és overjet kialakítása, a fogexpozíció mértéke, és a fogak, ajkak viszonyának helyes kialakítása is.
A fogak érintkezésének, az okklúziós viszonyoknak ismerete elengedhetetlen a helyes pótlás kialakításához. Ha ismerjük az okklúziós problémákat, a következményes izomváltozásokat, az ahhoz tartozó arcesztétikai problémákat, akkor könnyen diagnosztizálhatjuk az arcból is a gnathológiai el-
változást. Az izmok és redők változásaiból az állkapocs helyzetére vonatkozó információkat kaphatunk (jobbra, balra rotált, billent, felfelé rotált). Ezen információk birtokában a terápiát helyesen tudjuk megválasztani, és képesek leszünk arcfiatalító hatást is előidézni, valamint arcaszimmetriai problémákat megoldani (8. kép)
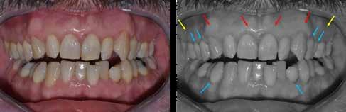
A FOP-ben, spazmusban vagy nyújtásban lévő izomtartás mellett kialakított fogművek esetén (vagy saját fogazatnál) a rotációt megfigyelve nagyon sokféle melléktünetre számíthatunk.
Fogakat, állcsontot érintő tünetek:
• Fájdalmak, sajgás a túlterhelés, hiper-szenzibilitás aszimmetrikus izomműködés, traumás harapás miatt;
• Fogmigráció (self ortho phenomenon) a fogakat érő aszimmetrikus izomműködés miatt. Az egész rágóapparátust nézve teljesen típusos megjelenési formája van. Balra
rotáció esetén például a bal oldali maxilla fogazat kifelé dől és intrudálódik, a jobb oldali maxilla fogazat befelé dől és elongeálódik (10. a-b kép);
• Nyaki kopások a fogat érő erő ellentétes oldalán, ahol a zománc az oldalirányú erők hatására összetöredezik. A kopások adott mintázat szerint jelennek meg a fogíven. Például felfelé rotáció esetén a metszőfogak vesztibuláris oldalán (11. kép);
• Típusos fogkopások a frontfogakon, szemfogakon, moláris területen;
• A fogak inklinációjának, protrúziójának megváltozása (12. kép) . Például felfelé rotálódó állkapocs esetén a nagymetszők protrúziója egy idő után kifejezetté válik;
• A nyomásnak kitett oldalon exostotikus képletek jelennek meg az állcsonton (13. kép)
Az arcra gyakorolt hatás:
• Megváltozik az arc izomszerkezete: a FOP-ben az izmok spazmusba kerülnek. Nem csak a rágóizomzat, hanem típusos mintázatot adva, a mimikai izomzat is. Egy jobbra rotáció esetén a bal oldali masseter izom hipertrófiája fi-
gyelhető meg, ugyanakkor a bal oldali zygomatikus izom ellaposodása. Ez a mandibula csavarodásával járó bőrre, izomzatra ható húzó erők miatt jelentkezik. A felfelé rotáció tünete, mindkét oldali zygomatikus izom inaktivitása, a mentális izom hipertrófiája (14.,15. kép);
• Megváltozik az arc redőszerkezete. A szem alatti ráncok kifejezettek lesznek, sokszor az ívelt formából háromszög alakúra váltanak a bőr lehúzása miatt. Az állkapocs rotációt mindig kíséri egy aszimmetrikus redőzet. A nasolabiális redő a rotációs oldalon a horizontálishoz közelít, úgy, mint a Marionett redő is. Ez egy jól felismerhető jele az instabil okklúziónak és a rotációnak (16. kép);
• Amikor az okklúziós billenése is bekövetkezik a hosszú távú aszimmetrikus erők miatt, akkor ez az arcon az arckontúr változásával is jár. Leginkább az állkapocs-pozíció-aszimmetriája figyelhető meg, valamint megváltozik az arckontúr: a billenés oldalán rövidebb és egyenesebb lesz (17. kép).
A fej-nyak régióra gyakorolt hatás:
• A fej a rotációs oldal irányába billen. A balra rotált és billent állkapocs a fogak érintkezése miatt az idővel létrejövő jobboldali elongációt igyekszik kompenzálni egy balra billent fejtartással. A bal oldalon izomkonstrikciót is eredményez az állkapocs alatti és a nyaki régióban lévő izomzatban is, a billenés oldalán. (Ezért érdemes a fotózás során a NHP (Natural Head Position) fotóprotokoll szerint készíteni az arcképeket.). A rotációval ellentétes oldal irányába megfigyelhető a fejfordítás korlátozottsága, amelyet az izmok aszimmetrikus spazmusa és a nyakcsigolyák egymáson való rotációja okoz;
• A protrudált nagymetszők a fogérintkezést előretolt állapotban teszik lehetővé. Ez a mandibula előre, később felfelé irányuló rotációját vonja maga után, amit a fej előretolása követ az izomaktivitások miatt (18. kép). A fej előretolását a fej leszegése, majd a 6-7. nyakcsigolyák egymáson való elcsúszása követ.
Pótlásra, fogászati beavatkozásra gyakorolt hatás:
• A héjak leeshetnek az aszimmetrikusan működő erők miatt;
• A koronákról lepattanhat a kerámia;
• A cirkon munkák eltörhetnek a fellépő nyíró erők miatt;
• A parodoncium megterhelődik, tasakok alakulhatnak ki, fogak mozdulhatnak ki;
• A migráció, a selfortho mozgás megindul;
• Az implantátum kimozdulhat;
• A parodontális műtétek sikerrátája csökken;
• Ínyrecesszió jelenik meg;
• Instabil orthodonciai eredményt kapunk.
Általános tünetek:
• Megindul a selfortho mozgás;
• Gnathológiai problémák lépnek fel;
• Fejfájás, izomspazmus tapasztalható az aszimmetrikus izomspazmusok miatt;
• Gyomorsavasodás;
• Kettős látás;
• Fülzúgás, -csöngés;
• Levegő kapacitási elégtelenség.
A forszírozott, kényszerített állkapocs pozíció test-szerte izomspazmust okoz. A FOP-ban kialakított fogászati munka a beragasztás után is problémát okoz a lepattanások miatt, a kényelmetlensége miatt, továbbá az izmokban lévő feszültség és a kényszertartás miatt. A kiegyensúlyozatlan harapás tünetei nemcsak a rágóizomzatban, az arcon, a nyak- és vállizmoknál figyelhetőek meg, hanem végigkövethetőek egészen a talpig. Ez az ún. negatív kaszkád effekt, amely a helytelen fogérintkezés és a forszírozott, kényszerített okklúzió miatt alakul ki a testben. Az aszimmetrikus izomerők átadódnak a nyak, a vállöv, a törzs, a végtagok izmainak, és ez által átrendezik a testtartás, aszimmetrikusan terhelik az ízületeket.
Kiegyensúlyozott harapásról, okklúzióról a Smylist Módszer értelmében mindenképpen csak akkor beszélhetünk, ha izomegyensúly van. Az izomegyensúly kialakítása stabilizátorokkal és deprogramálással lehetséges, addig semmilyen bemérés, támasztócsapos regisztrátum alkalmazása a végleges pótláshoz nem javasolt, mert a helyreállítás során az egyedi, évek óta fennálló, aszimmetrikus izomműködést mérjük be és konzerváljuk a továbbiakban. A kétoldali izomszimmetria által biztosított (deprogramált, sín-, stabilizátor terápián átesett páciens esetén) állkapocs-pozícióban javasolt az alsó-felső fogívek relációjának megtartása, majd ebben a pozícióban a fogak felállítása, kialakítása. Ezzel a látásmóddal a fogérintkezést a test izomhálózatában harmonikusan elhelyezkedő állkapocs kényelmi pozíciójában lehet kivitelezni. Ez biztosítja a későbbiekben a fogak stabil elhelyezkedését, és a selfortho mozgások elkerülését. Komplex szemlélettel megérthető, hogy az állkapocs a test izomhálójában, egy élő és érzékenyen reagáló szervezetben elhelyezkedő szervrendszer, amelyben a fogak foglalnak helyet. A fogak funkcionális kialakítását ennek tudatában ajánlott elvégezni.
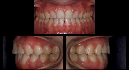
A korábban rutinszerűen használt amalgámtömések mára a legtöbb páciens számára esztétikailag nem elfogadhatóak, hanem fogszínű, természethű restaurációt várnak el. Kaméleon effektussal bíró kompozitokat használva, akár szakavatott szem számára is láthatatlan módon, funkcionálisan és esztétikailag is helyreállítható a fog. Az adhezív technika fejlődésének és az alacsony zsugorodási stresszel bíró kompozitoknak köszönhetően a kiterjedtebb II. osztályú üregek direkt módon is felépíthetőek. Megfelelő protokollokat követve lépésről lépésre kiszámíthatóan elérhető a kívánt végeredmény.
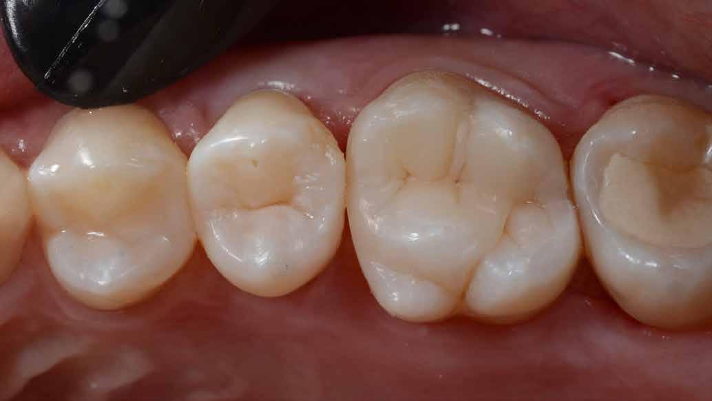
Az 53 éves hölgy páciens jobb felső 6-os fogában látható amalgámtömés cseréje volt a cél. A tömés mellett secunder caries és az amalgám következtében létrejött mesialis zárólécen áthaladó repedés, továbbá mesialis caries figyelhető meg (1. ábra). El kellett kerülni, hogy a tömés kifúrásakor az amalgámtörmelék a páciens szájába kerüljön, esetleg ebből valamennyit lenyeljen, a kezelés első lépésként kofferdám izoláció került fel a jobb felső kvadránsba (2. ábra). A kapocs a 1.7 fogra került, ezzel kényelmesen helyet teremtett a későbbiekben felkerülő matricarendszernek. Az egyszerre több fog izolálása lehetővé teszi, hogy a szomszédos fogak referenciául szolgáljanak a restauráció felépítése közben.
A régi amalgámtömés eltávolítását követően caries indikátor segítette a carieses laesio megfelelő kitisztítását a pulpa expozíciója nélkül. Ezután kerülhetett sor az ideális üregdesign kialakítására, továbbá a zománcszélek finírozására (3. ábra) Az approximális box megnyitása során az alátámasztatlan zománcprizmák eltávolításra kerültek, ezzel is csökkentve a secunder caries képződés veszélyét. Az így kialakuló forma elősegíti a matrica megfelelő adaptációját, végül pedig az approximális box határainak a hozzáférhetőségét, így finírozás során ez jobban kontrollálható és polírozható.
A Palodent V3 matricarendszer felhelyezését követően a zománc 10 másodperces szelektív savazása, majd lemosása és leszárítása után történt a kavítás bondozása Prime & Bond Universallal.
Kulcslépés: a II. osztályú üreget a matricarendszer segítségével I. osztályúvá lehetett átalakítani.
A pontosabb széli záródás érdekében célszerű a matrica illesztési határába némi folyékony kompozitot felvinni (NeoSpectra ST flow A2), majd megvilágítás nélkül a zárólécet paszta kompozittal (NeoSpectra STHV A2) felépíteni, miközben a kifolyó fölösleges folyékony kompozit eltávolításra kerülhet. Így ki lehetett használni és kombinálni a két különböző konzisztencia előnyeit.
A polimerizációt követően kerülhet sor a matricafeszítő gyűrű, valamint a matrica eltávolítására. A Palodent V3 fülekkel ellátott matrica kialakításának és a speciális PinTweezers csipesznek hála, a feszes kontaktpont ellenére a matrica könnyedén eltávolítható. Az éket viszont a kezelés végéig
célszerű bennhagyni, elkerülve egy esetleges nemkívánatos vérzést (4. ábra)
A matrica és gyűrű nélkül az approximális fal magassága, valamint a szomszédos fogakhoz viszonyítható dimenziók jobban megállapíthatóak. A jobb térlátás és a nagyobb mozgástér precízebb eredményhez vezet, csökkentve ezzel az utólagos finírozás mértékét, továbbá a részletgazdagon kialakított anatómiai struktúrák torzulásának az esélyét. Az üreg mélyebb részei SDR Plus A3-mal kerültek feltöltésre, majd NeoSpectra STLV A3-mal kiegészítve vált teljessé a dentin pótlása (5. ábra), ezzel létre lehetett hozni egy homorú formájú kromatikusabb alapot.
Ezt követően csücsökről csücsökre haladva a felső hatosokra jellemző anatómiai struktúrák, megfelelő orientációval bíró csücsöklejtők és elsődleges barázdák Neo Spectra
HV A2 anyagból kerültek kialakításra (6. ábra). Apró „kompozit-hurkákkal” kiegészítve létrehozható a csücskökön belüli tagoltság, ezzel kialakítva a másodlagos barázdarendszert és egy sokkal kidolgozottabb anatómiai struktúrát (7. ábra). A fogorvos esetleges „művészi hajlamát” is figyelembe véve, a természethű megjelenés barázdafestéssel (Micerium - Stain Brown 2) még tökéletesebb lehet (8. ábra). Ezzel a korábban részletgazdagon kialakított ba-
rázdarendszer kiemelhető, és optikailag fokozható a gödröcskék mélysége is.
A restauráció megfelelő polimerizációja után célszerű a kofferdám nyújtotta retrakciót kihasználni, és a restauráció széli záródásában levő esetleges kompozitfölösleg elfinírozását jobb rálátás mellett elvégezni (9. ábra). Ebben nagy segítségünkre lehet az Enhance rendszer, mely a kompozitot nagyon szépen elsimítja, de a természetes fogszövetet nem bántja.
A matricázott terület széli záródásának a kidolgozásában az EVA polírozó (10. ábra) lehet a segítségünkre, amellyel a gingiva sérülése megelőzhető, és a kialakított feszes kontaktpont sem kerül redukcióra (11-12. ábra)
A kofferdam eltávolítását követően kerülhetett sor az occlusio beállítására csücsöklejtők domborúságának a redukciója révén (13. ábra). A harapás gyémántfúrókkal történő beállítása után a polírozás Enhance rendszerrel történt, melynek végső lépéseként a PrismaGloss használatával (14. ábra) nyerhette el a restauráció a végső fényességét (15. ábra)
A ma rendelkezésre álló modern eszközöknek és anyagoknak hála II. osztályú üregek direkt módon kiszámíthatóan restaurálhatóak. A matricarendszernek köszönhetően helyreállítható a feszes kontaktpont, a „kaméleon effektussal” bíró kompozit pedig a tömés integrációjáért felel. A megfelelő adhézió, a precízen kidolgozott széli záródás és a plakkréteg megtapadását nehezítő polírozott felszín a kezelés hosszú távú sikerének a garanciája. Mindezek együtt egy hosszú távon tartós, funkcionális és esztétikai rehabilitálást tesznek lehetővé.
DOESNOT
> Nagyfokú biokpmpatibilitás: nem tartalmaz
Bis-GMA-t és szabad nanopartikulát
> A természetes zománccal megegyező abrázió
> Mechanikai és funkcionális jellemzői megegyeznek az arannyal
> Könnyű kezelhetőség és ideális polírozhatóság
> Egyaránt alkalmas direkt és indirekt felhasználásra
> Röntgenárnyékot ad
> Fluoridot tartalmaz
Daniele Rondoni, prof. dr. Angelo Putignano, dr. Anna Salat, dr. Walter Devoto, prof. dr. Zsolt M. Kovacs (Olaszország)
A színtudomány hatalmas komplexitásában magában foglalja többek között a fizikát, a matematikát, a geometriát, a mérést, az érzékelést, a kémiát, az optikát, a művészetet és az emberi pszichológiát. Dióhéjban a színtudomány a pszichofizika. A fogászati szakirodalomban gyakran találkozhatunk félreértelmezett színtudományi fogalmakkal és azok helytelen alkalmazásával. A fogászati területre vonatkozó összetett színtudományi fogalmakat gyakran nehéz könnyen érthető szavakkal elmagyarázni. A következő oldalakon megpróbálunk néhány ilyen fogalmat könnyebben érthető nyelvre lefordítani.
A fogászati színmeghatározás nagyon fontos, és rendkívüli pontosságot igényel a mérés, a számítás és a kivitelezés során; más szóval a végleges restaurációnak tökéletesnek kell lennie a klinikus, a technikus és a páciens szemében. Ez a feladat digitálisan vagy analóg módon is elvégezhető. A szemmel történő színmeghatározás nyilvánvaló okokból a klinikusok körében leggyakrabban alkalmazott színmeghatározási módszer. Ennek ellenére úgy tűnik, hogy a tudományos közösség nem értékeli ezt a módszert az objektivitás hiánya miatt, mivel számos tényező befolyásolhatja azt, ahogyan a fogászati árnyalatot érzékeljük. Mindazonáltal az alkalmazott színmeghatározási módszertől függetlenül a fogszínmeghatározás eredményességét a restaurátum szájba helyezése után ítélhetjük meg. Annak ellenére, hogy a digitális színmeghatározási módszerek már több mint 30 éve rendelkezésre állnak, csak akkor váltak népszerűvé a fogászati munkák során, amikor méréseik klinikai és laboratóriumi körülmények között is alkalmazásra kerültek. A digitális fogszínmeghatározás valódi előnyökkel jár a klinikai eredmények szempontjából, a fogorvosok és a technikusok mégis inkább a szemmel történő meghatározásra hagyatkoznak.
Nagyon hosszú ideig a fogászati színmeghatározás első számú forrásai a gyári fogszínkulcsok voltak, amelyek népszerűségük okán állandó javításokon, fejlődésen estek át megbízhatóbbá tételük érdekében. A VITA klasszikus A1-D4 terjedő és felosztású fogszínkulcs (VITA Zahnfabrik) mindig is alapértelmezett volt, ha más módszerek nem váltak be. A VITA fogszínkulcs azonban mindig is művészi képességekhez és az anyagok, valamint a hozzájuk tartozó speciális eszközök alapos ismeretéhez kapcsolódik.
Az évek során általános DIY (do-it-yourself) stratégiákat javasoltak a gyári fogszínkulcsok használatának optimalizálása érdekében. Egy adag rózsaszín kompozit hozzáadása a
fogszínkulcsban szereplő fogakhoz valósághűbb kontextust ad, így a minta jobban hasonlít az ínyből kiemelkedő valódi fogra (1. ábra). Bár ez nem oldja meg a gyári kulcsok korlátait, némileg segít a figyelmet a teljes fogra irányítani. Ez a módosítás azonban korlátozott sikerrel járt. Erre a célra különböző márkájú, kereskedelmi forgalomban kapható vékony rózsaszín ínyszegélyt is tartalmazó kulcsot javasoltak, de ezeket a változtatásokat bármelyik klinikus is könnyen elkészítheti a rózsaszín kompozitból.
Egy másik „barkácsmódszer” (DIY) – amelynek célja a gyári fogszínkulcsok optimalizálása és az árnyalatmegfelelési pontosság növelése –, a nyaki és metsző részek levágásával (2. ábra) csak azt a területet hagyja meg, ahol az árnyalat egyenletesebb az egész felületen. Ez kiküszöböl minden zavaró tényezőt az árnyalatillesztés során, mivel sok ember számára a metszőfogak éli részének translucenciája és a nyaki rész átlátszatlan tömege inkább zavaró, mint hasznos. Ezen területek trimmelése, levá-
a kompozitrétegezést, de vannak korlátai és néhány problémája.
gása az árnyalatmintákat egyszínűnek tünteti fel. Ez a változtatás azonban nem csak korlátozott sikerrel jár, hanem más problémákat is felvet, amelyek közül az egyik az, hogy az árnyalatreferencia hasznos területei meghatározatlanok maradnak.
A személyre szabott fogszínkulcs könnyen elkészíthető saját kezűleg, ugyanazokból az anyagokból, amelyeket a tényleges intraorális restaurációhoz használnak. Ezeket optimalizálási megoldásként javasolták, de számos problémával járnak. Az első probléma nem magával a fogszínkulccsal van, hanem az elkészítéssel. Több mintadarab saját gyártása a legtöbb felhasználó számára időigényes, különösen ha figyelembe vesszük, hogy egy jól használható fogszínkulcshoz szükséges nagyszámú mintakombinációt kell készíteni, ami megmagyarázza a gyári kulcsok, például a VITA fogszínkulcs sikerét. A tökéletes személyre szabott (buborékmentes, megfelelő vastagságú, kompozitból készült) fogszínkulcs elkészítése a fogorvos/fogtechnikus részéről készséget és tapasztalatot igényel, hogy tökéletes színmegfelelést érjünk el, és elkerüljük az eltéréseket a végleges restaurációval (3. ábra). A személyre szabott fogszínkulcs általában eltérő vastagságú a tényleges restaurációhoz képest, ami nagymértékben megváltoztatja a valós és az észlelt színt, és így mind a kerámia-, mind a kompozitrestaurációk esetében gyenge színmegfeleltetést eredményez (4. ábra). Továbbá a személyre szabott fogszínkulcs esetében is hiányzik a kontextus, mivel pl. nincsenek szomszédos fogak, ami megváltoztatja az optikai megjelenést.
Lehetetlen szavakkal pontosan átadni az árnyalattal kapcsolatos teljes információt, mivel még egy nagyon specifikus árnyalat érzékelése is eltérő az egyes emberek között. A digitális kolorimetriának számos előnye van a vizuális módszerrel szemben:
– világos és objektív nyelvezet;
– a szomszédos struktúrák bevonása a meghatározásba;
– nagyon egyszerű megismételhetőség;
– a mérések elvégzésének egyszerűsége;
– könnyű szabványosítás.
L* C* h* színtér, ahol L = világos-sötét, C = chroma, színtelítettség H = színárnyalat fokban kifejezve.
Az L*a*b* színtér legyőzi a nyelvi akadályokat, lehetővé téve bárki számára az árnyalatok és az árnyalati különbségek egyszerű közlését (5. ábra). Az L* tengely a világostól a sötétig tart, 100 - a fehér és 0 - a fekete. Az a* tengely a vöröstől a zöldig tart, a pozitív érték a vöröset, a negatív érték pedig a zöldet jelzi. A b* tengely a sárgától a kékig tart, a pozitív érték a sárgát, a negatív érték a kéket jelzi.
A teljes L*a*b* színtérben grafikusan ábrázolva az emberi fogászati színtartomány egy kis szabálytalan alakú bab-
szemhez hasonlít (6-8. ábra). Ez a tartomány rendkívül fontos a szakmánk számára. Elsősorban a sárga-vörös és a világos tartományban helyezkedik el, és nagyon alacsony színtartományú, szinte teljes spektrumában a semleges tengelyt érinti. Ez a tér nagyon világos bézs pasztellszínekből áll.
Rizzi és munkatársai felvázolták a humán fogászati színtér értékeit. Megállapították, hogy a legjobb színkülönbség-képlet, amely a legizotrópikusabban és legegységesebben viselkedik ennek a tartománynak minden tengelye mentén, a ΔE94 képlet. A digitális színmérés esetében a fogászati színtér tartalmának és határainak pontos ismerete pontosabbá teszi a gépek tervezését, a rétegezés és a kerámiakeverés számításait, a fogszín koloriméter készülékek kalibrálását és a hardver specifikációit.
Manapság a fogszín meghatározása néhány másodperc alatt egy nagyon kompakt és hordozható készülékkel, az OPTISHADE StyleItaliano (Smile Line) segítségével hihetetlenül egyszerűen és a klinikus készségeitől függetlenül elvégezhető. A készülék használatának megtanulása egyszerű, és a fogorvos, az asszisztens vagy a technikus is elvégezheti, így a csapat minden tagjának munkája egyszerűsödik.
Az OPTISHADE StyleItaliano kolorimétert 2021-ben mutatták be kifejezetten fogászati alkalmazáshoz. Apple készülékekkel működik egy alkalmazáson keresztül, továbbá nagyon fontos tényező, hogy egyszerűen fertőtleníthető (9. ábra).
Nagy pontossága (ΔE94: 0,2-0,4) és az L*a*b* és L*C*h színterekben végzett mérések alkalmával lehetővé teszi az adatok valós idejű keresztellenőrzését több előre betöltött fogszínkulccsal, például a VITA klasszikus A1-D4-gyel és a VITA Toothguide 3D-MASTER-rel.
Egy olyan korban, amikor a kommunikáció kulcsfontosságú, ez a készülék kihasználja a modern mobileszközök teljes megosztási lehetőségeit. Másodpercek alatt meg lehet mérni egy fog színét, és az árnyalatmérést közölni másokkal, mindezt az Apple platformok biztonságával és stabilitásával.
Ha pontos és megbízható módszerrel rendelkezünk az árnyalatok meghatározására, akkor ugyanazon tárgy mérésekor ugyanazokat a számértékeket kell kapnunk. A feladatunk abból áll, hogy minden egyes mérésnél ugyanazt a forgatókönyvet alkalmazzuk; más szóval a színt
kell mérni, amelynek méréseiben minimális az eltérés (készülékeken belüli pontosság), és minimális az eltérés a többi hasonló készülékkel összehasonlítva (készülékközi pontosság), azonos háttérrel, centrálással és pozicionálással, tiszta és hidratált fogakkal, valamint külső fényszennyezés nélkül. Ezekkel az egyszerű paraméterekkel pontosan reprodukálható a folyamat, és megbízható színmeghatározás érhető el (10. ábra). A felhasználónak könnyen tudnia kell reprodukálni
a körülményeket. Ha a méréseket ugyanarról a tárgyról végezzük, a kapott értékeknek egy 0,4 ΔE94 küszöbérték alá kell esniük. Ha ennél magasabb értékeket mérünk, elemezni kell, hogy mi lehetett pontatlan a standardizálási folyamat során, például a fog háttere, a készülék elhelyezése, a fogtisztítás vagy a fog hidratáltsági szintje (11. a-f ábra).
Az OPTISHADE alkalmazásai között szerepel a kerámiarétegzés és -keverés előrejelzése, a kompozitrétegződési recept kiszámítása, a fehérítés nyomon követése és az anyagminőség ellenőrzése, hogy csak néhányat említsünk. A rendszer még sokoldalúbbá tétele érdekében az OPTI-
(tiszta), ugyanaz az időkeret, ugyanaz a pozicionálás, ugyanaz a készülék, ugyanaz a háttér. Árnyalatbeli különbség: 0.12. Megbízható mérés. – 11. b ábra: Ugyanaz a fog, ugyanaz a felület (tiszta), *különböző időkeret, ugyanaz a pozicionálás, ugyanaz a készülék, ugyanaz a háttér. Árnyalatbeli különbség: 0.29. Megbízható mérés. A csillag jelzi a mérés megbízhatósága szempontjából kritikus paramétert.
11. c ábra: Ugyanaz a fog, ugyanaz a felület (tiszta), *különböző időkeret, azonos pozicionálás, *különböző eszköz, azonos háttér. Árnyalatnyi különbség: 0.31. Megbízható mérés. A csillagok a mérés megbízhatósága szempontjából kritikus paramétereket jelzik.
11/d. Ugyanaz a fog, ugyanaz a felület (tiszta), ugyanaz az időkeret, ugyanaz a pozicionálás, ugyanaz a készülék, *különböző háttér. Árnyalatbeli különbség: 1.89. Megbízhatatlan mérés. A csillag jelzi a mérés megbízhatósága szempontjából kritikus paramétert.
11. e ábra: Ugyanaz a fog, ugyanaz a felület (tiszta), ugyanaz az időkeret, ugyanaz a pozicionálás, ugyanaz a készülék, *különböző háttér. Árnyalatbeli különbség: 0.89. Megbízhatatlan mérés. A csillag jelzi a mérés megbízhatósága szempontjából kritikus paramétert.
11. f ábra: Ugyanaz a fog, *különböző felület (nem tiszta), ugyanaz az időkeret, ugyanaz a pozicionálás, ugyanaz a készülék, ugyanaz a háttér. Árnyalatbeli különbség: 2,32. Megbízhatatlan mérés. A csillag jelzi a mérés megbízhatósága szempontjából kritikus paramétert.
SHADE kompatibilis egy integrált kerámia keverő- és rétegzőrendszerrel (Matisse), így az esztétikai restaurációk és a kerámiamunkák személyre szabása és színillesztése tökéletessé válik.
Az egyik legnagyobb kihívás a fogászati színmeghatározásban a szóló front restauráció integrálása. Ez bizonyítottan a legmegbízhatóbb, ha pontos matematikai számítással történik, különösen a kerámia keverése és rétegzése esetén.
A kerámiakeverési és -rétegzési szoftveres útmutatás legjobb eredményének eléréséhez elengedhetetlen a nagy pontosságú színmeghatározó készülék használata. Az OPTISHADE bizonyítottan a legjobb erre az alkalmazásra.
Két tökéletes árnyalatmérést kell produkálnunk (12. ábra):
A kívánt szín: Ez a cél, amit meg kívánunk határozni. Ezt a közeli egészséges fogakból vagy a közeli helyes színhű restaurátumokból számítjuk ki.
A fogcsonk színe: Ez annak a preparált fognak, vagy implantátumfelépítménynek az árnyalata, amelyre a restaurációt ragasztjuk. Figyelembe kell vennünk, mivel ez módosíthatja a restauráció végleges színét.
Mindezen információk birtokában lehetőség van a restaurátum több rétegének kiszámítására, amelyek a csonkkal együtt eredményezik a végső árnyalatot. A nyers restauráció, azaz az integrálás és a csonkon történő próbálás előtt, a kívánt árnyalathoz képest eltérő megjelenésű. Szájon kívül és így a fogcsonk, mint befolyásoló tényező hiányában vizsgáljuk. A nyers restaurációval a kedvezőtlen fogcsonkszínt úgy lehet módosítani, hogy az nagyon hasonló vagy azonos legyen a kívánt árnyalattal. A nyers restaurátum árnyalatát matematikai úton számítják ki, hogy a megfelelő rétegeket és opacitást kapja meg a restaurátum, továbbá a hordozóanyag integrálásakor bekövetkező színváltozások kiegyenlítésére alkalmas legyen. Az integrált restaurációnak – azaz a szájban a csonkra helyezett restaurációnak – akár véglegesen becementezve, akár try-in cementtel rögzítve, a kívánt színárnyalattal kell rendelkeznie, vagy legalábbis nagyon közel kell ahhoz lennie (13. ábra).
Valószínűleg ez az a terület, amely során a digitális színmeghatározás jelentősége kiemelkedik és a leghasznosabb, a frontrégió egyetlen esztétikus koronájának elkészítése során. Ebben a klinikai esetben a 11. számú implantátumon lévő korona mechanikai és esztétikai szempontból is elégtelen (14. a ábra). Az ilyen casus ideális esetben egyetlen próbával helyreállítható, anélkül, hogy a technikus látná a pácienst, és természetesen elkerülhető mindenféle ismétlés. Ezt úgy lehet elérni, ha megadjuk a kívánt szín és a csonk színének OPTISHADE méréseit (14. b ábra).
A kívánt színárnyalatot ebben az esetben a szomszédos fog mérésével határozzuk meg. Fontos, hogy a mérést
15. ábra: A kívánt szín (szomszédos fog). – 16. ábra: Ugyanaz a fog, *más felület (nem tiszta), ugyanaz az időpont, ugyanaz a pozicionálás, ugyanaz a készülék, ugyanaz a háttér. Árnyalatbeli különbség: 2,32. Megbízhatatlan mérés. A csillag jelzi a mérés megbízhatósága szempontjából kritikus paramétert.
az implantfelépítmény behelyezésével és a szomszédos fog tökéletes hidratálása esetén végezzük el (15. ábra). A felső oldalsó metszőfog színét is megmértük (16. ábra) Egyazon íven belül a fogak hasonlónak vagy akár azonosnak is tűnhetnek, de általában különböző árnyalatúak. A csonk árnyalatát figyelembe kell venni egy egyedi méréssel, amelyet a restauráció számításaiba beépítünk (17. ábra).
Az OPTISHADE árnyalatmérések feltöltődnek a Matisse rendszerbe, és ezek, valamint a restauráció típusa döntő fontos-
Kerámiakeverési stratégia a tökéletes személyre szabott recepthez. A kékkel jelölt számok a keverési egységeket jelzik, ahol egy egység a minimálisan összekeverendő kerámia mennyisége. Az egységek lehetnek nagyok vagy kicsik, azonban az összes egység azonos. Minőségi kerámiaporciózó használata ajánlott.
ságúak a tökéletes nyers restauráció megtervezéséhez (18. ábra). Ezt követően a kerámiát a Matisse által megadott tökéletes, személyre szabott receptúra szerint keverik össze (1. táblázat). A végleges korona nagyon jó integrációt mutat (19. ábra). Ezt egyetlen próbával sikerült elérni.
A digitális színmeghatározás kiküszöböli a szem szubjektivitását. Amennyiben a méréseket helyesen végezzük, a kolorimétert nem lehet úgy „becsapni”, mint az emberi szemet. A számok segítségével történő kommunikáció a legpontosabb módja az árnyalat meghatározásának. A pontos adatokkal kiszámíthatjuk a kerámiakeverést, a rétegezést és még sok mást is. A cikkben említett új technológiák amellett, hogy pontosak, ma már felhasználóbarát módszerek, lehetővé teszik az adatok egyszerű megosztását és mentését, univerzálisak, továbbá nem igényelnek hardverfrissítést. Forrás: dental-tribune.com
2023. október 12., csütörtök
Tippek & trükkök – egy módszer mellyel gyorsan és esztétika-funkció helyesen tudunk molárisokat restaurálni
A cél, hogy megértsük és elsajátítsuk e módszer protokolját lépésről lépésre
1. ELMÉLET FOGORVOSOK ÉS FOGTECHNIKUSOK részére
- Szín elmélet – mit nézzünk és hogy reprodukáljuk
- A molárisok morfológiai elemei – a dentinmag formája
- Anyag és technika választás az eset függvényében
- A felszíni textúra fontossága
- A kor és a fog funkciójának jelentősége
- A polírozás, finírozás jelentősége a hosszútávú sikeresség érdekében.
RÉSZ (FOGORVOSOK & FOGTECHNIKUSOK)
A 16 fog felépítése lépésről lépésre – két módon
Nagyon fontos, hogy a feladat megoldásához a megfelelő anyagot és a hozzáillő megismételhető technikát alkalmazzuk a hosszútávú , előre megjósolható eredmény érdekében. Az optikai effektusokat figyelembe véve , főleg a belső és külső morfológia szabályait követve érhetjük el a kivánt esztétikát és a funkcionális egyensúlyt. A restaurációhoz használt anyag ismerete és a felépítendő fog minden egyes elemének kódolása teszi lehetővé az ideális eredmény gyors elérését.
Cél: a felépítendő természetes fog morfológiai analízise biomechanikai és dentalis harmóniai szempontból.
Olyan rétegzési technika elsajátítása, amely a belső elemek helyes elhelyezésén keresztül vezet gyors felépítéshez.
Egyszerűsített rétegzés
– Biodinamikai analízis- Funkció analízis
– Biokonstrukció a belső elemek felépítésén keresztül- “kúp technika” kompozittal
– Egy moláris fog, 16 felépítése – a belső elemek orientációja- A belső elemek rétegzése
– Biomechanikai szabályok a dentinmag orientációja tekintetében
– A sulcus kiala kítása
– A kompozit felszín kezelése – polírozási protokoll
Részvételi díj: 80 000 Ft (elővételben)
Jelentkezés: dentalworld.hu
Az alignerekkel történő esztétikai célú fogmozgatások során csupán
Ha a kezelés tervezése során a páciensről készített fotósorozatot is zására, akkor a legtöbb esetben valóban esztétikus megjelenésű és kezelés végén kiegészítjük fogfehérítéssel és minimálinvazív módon, is optimalizálásra kerül, akkor egy boldog, elégedett és a rendelőnkhöz
még, hogy ezt az eredményt nagy anyagi befektetés
csupán egy jól meghatározható számú szempontot kell figyelembe venni. felhasználjuk, valamint kellő időt fordítunk a kezelési terv kidolgoés előre jól megjósolható eredményeket érhetünk el. Ha ezt még a módon, kompozittal történő fogforma-korrekcióval, illetve az ínylefutás rendelőnkhöz lojális pácienst biztosíthatunk magunknak. Fontos szempont befektetés nélkül biztosítottuk a páciensünk számára.
Mindenki számára ismerős a helyzet: Egyre több olyan páciens keresi fel a rendelőnket, akik „szebb mosolyt” szeretnének. Gyakran beszélnek róla a közösségi médiában, de a közelmúltban lezárult karantén-időszak alatt is többször hangsúlyozták, hogy a szájüregi egészség legalább olyan fontos, mint az általános egészségi állapotunk. Talán ennek a szemléletnek az elterjedése is hozzájárul a szebb fogazati esztétikát igénylő páciensek számának növekedéséhez. Az alábbiakban olvasható cikkben az esztétikailag kedvező mosolyra vonatkozó főbb paraméterek és az ezek elérését lehetővé tevő módszerek kerülnek ismertetésre.
A fent leírtakból az következik, hogy a mosolygás közben láthatóvá váló állapot jelentős szerepet kap az arc esztétikájának megítélése során. Sőt, tágabb kontextusba helyezve, a mosolygás közben látható állapotból közvetett módon akár egy ember egyes személyiségjegyeire is következtethetünk. Ez alapján véleményt formálhatunk az intelligenciájáról, emocionális stabilitásáról, határozottságáról, szexuális kisugárzásáról és a szocializációjáról.
A mosoly kiértékelése során alkalmazott eszközök közül a fogászati fotózást tekintjük aranystandardnak. Természetesen lehetőségünk van más eszközök alkalmazására is. Például videókat is készíthetünk a pácienseinkről, amelyek további információval szolgálhatnak.
Alapvetően miért van szükség arra, hogy a pácienseink „mosolyával” részletesen foglalkozzunk és alaposan kielemezzük? Erre egy jó indok lehet a pácienseink azon belülről fakadó vágya, hogy „szebb” megjelenést szeretnének maguknak elérni. Ugyanakkor létezik tudományos megközelítés is. Kutatási eredmények igazolják, hogy egy külső megfigyelő a legtöbb figyelmet a száj és a szemek körüli területre fordítja. Ennek az okát még nem sikerült egyértelműen megállapítani. Egyesek szerint ez azért van, mert ezek a legkontrasztosabb területek az arcon, míg mások azt feltételezik, hogy azért összpontosul ide a figyelem, mivel ezek a legtöbbet mozgó részei az arcnak.
A mozgásmintázatok megfigyelésével hasznos következtetéseket vonhatunk le és még pontosabb megfigyeléséket tehetünk a páciens mosolygása közben látottakról.
A fogászati fotósorozat elkészítésével és kiértékelésével többek közt az alábbi dentofaciális esztétikát jelentős mértékben meghatározó tényezőket vizsgálhatjuk: arcszimmetria, ajakprofil, felső fogív középvonala, alsó fogív középvonala, Angle-féle állcsontrelációs helyzet, rágósík helyzete, fogazati rendellenességek (foghiány, torlódás, rotáció stb. …).
Az esztétikai célú aligneres kezelések során legtöbbször csak a frontrégióban megfigyelhető fogazati rendellenességek korrekcióját végezzük. Ezek között szerepelnek a középvonal-eltolódások, a fogtorlódások, egyes fogak rotációja,
valamint a fogak között látható rések. A harapási helyzetnek, a rágósík elhelyezkedésének, vagy az arcszimmetriának a megváltoztatásához felnőtt páciensek esetében hagyományos fogszabályzó készülék felhelyezésére és esetlegesen az ezt kiegészítő sebészeti beavatkozások elvégzésére van szükség. Az ilyen jellegű rendellenességek ellátása állcsont-orthopédiai beavatkozások elvégzését igényli.
Rubin szerint három különböző mosolygási formát tudunk megkülönböztetni:
• A zárt ajakkal történő mosolyt, amelyet visszafogott, udvarias mosolygásként jellemezhetünk.
• A szelfi mosolyt, avagy a közösségi média felületeken látható mosolyt, amely során csak a felső frontfogak látszanak.
• Végül az önfeledt, vagy felszabadult mosolyt.
Camara elveinek megfelelően az arc esztétikájának vizsgálata során a felszabadult mosolygáskor látható helyzetből kell kiindulni. Ugyanakkor ezt az állapotot a legnehezebb lefotózni, mivel a páciensek általában feszültek és idegesek a fotósorozat készítése során. Ennek megfelelően a fotózás megkezdése előtt fontos ellazítani és komfortossá tenni a beteget, hogy az „igazi” mosolyát is megmutathassa.
A fotóstátusz rögzítése során minden esetben készítsük el a nyolc javasolt beállítás szerint készített képet és gyakoroljuk, hogy hogyan lehet a vizsgált értékeket a lehető leggyorsabban leolvasni róluk. Az arcesztétika vizsgálata mellett az alignerekkel történő kezelés lépéseinek megtervezésére és a kezelést követő korrekciók meghatározására is alkalmasak ezek a felvételek. A fogászati fotózással való ismerkedés kezdetén nyugodtan készítsünk a minimálisan szükségesnél több képet. Minél több képpel rendelkezünk, annál egyszerűbb lesz a tervezés.
Mely anatómiai jellemzőket érdemes a kezelés megkezdése előtt, illetve a kezelés befejezését követően lefotózni és kielemezni? Az arcesztétika szempontjából a felső állcsont tulajdonságai számítanak meghatározóbbnak. Az alábbiakban ismertetjük, hogy mely jellemzőkre kell a kezelés során kifejezett mértékben tekintettel lenni. Ezek tiszteletben tartásával a páciensek és a kezelést végző orvosok számára is kielégítő eredményeket érhetünk el a beavatkozások befejezését követően.
Gyakorlati szempontból ez azt jelenti, hogy először mindig a felső állcsonton tervezett fogmozgatásokat tervezem meg, és ezt követően az alsó állcsonton végezni kívánt fogmozgatásokat ehhez igazítom.
Teljes bizonyossággal kijelenthető, hogy a páciensek mosolyát a felső metszőfogak jellemzői befolyásolják a legnagyobb mértékben. Ideális esetben a felső frontfogak metszőéleinek lefutása harmonikusan követi az alsó ajakvonal lefutását. Ez azt jelenti, hogy mindkettő egy konvex, domború ívet ír le. Minél domborúbb ez az ív és minél több látszik a felső frontfogakból, annál fiatalosabbnak tűnik a páciens mosolya. Ez pedig közvetett módon a szépség, az életvidámság és az ártatlanság képét erősíti. Az aligneres kezelések tervezése során minden esetben kiemelt figyelmet fordítok arra, hogy a felső metszőfogak metszőéleinek lefutása az alsó ajakvonal lefutását kövesse. Továbbá arra is tekintettel kell lenni, hogy a felső metszőfogak incizális éle a szemfogak csücsökcsúcsához képest koronálisabb irányba helyezkedjen el. Amennyiben férfi páciensről van szó, úgy az is megengedhető, hogy a metszőélek a felső szemfogak csücsökcsúcsait összekötő egyenessel egy vonalban helyezkedjenek el.
Szakirodalmi cikkekben azt olvashatjuk, hogy ha a középvonaltól való eltérés mértéke nem haladja meg a 4 mm-es nagyságot, akkor az egy átlagos szemlélő számára legtöbbször észrevétlen marad. Azonban ez nem egy olyan megállapítás, amelyet egy megfelelő szakmai tapasztalattal rendelkező fogorvos a mindennapi gyakorlatban következmények nélkül alkalmazhat. Ennél jóval kisebb az a tényleges eltérés (kb. 1 mm), amelyet egy páciens még zokszó nélkül elfogadhat. Ezenfelül a páciensek szintén rendkívül kritikusan tekintenek a frontfogak dőlésében (inklináció) megfigyelhető eltérésekre. A felső metszőfogak között maradó rések (diasztémák) is tabunak számítanak. Bizonyos esetekben a felső oldalsó metszőfogak (12, 22) disztális oldalán lévő kis méretű rések jelenlétét még tolerálják.
A tervezés során arra is ügyelek, hogy a két felső középső metszőfog tengelye frontális nézetből egymáshoz képest párhuzamos legyen, és hogy a felső frontfogak inklinációja oldalnézetből szintén azonos legyen. Én személyesen maximum 1 mm-t meg nem haladó középvonaltól való eltérést tudok elfogadni, de lehetőség szerint mindig a középvonali eltérések teljes körű korrekciójára törekszem. A fogak közti réseket mindig teljes mértékben zárom. Nagymértékű Bolton-eltérés esetén, ha a helyviszonyok ezt nem engedik, a
felső oldalsó metszők disztális oldalán kis méretű réseket hagyok, amelyeket később kompozittal zárok.
A bukkális folyosó alatt mosolygás közben a fogak külső felszíne és a bukka belső felszínek között látható teret értjük.
Azt a helyzetet tekintjük optimálisnak, amikor ez a folyosó még felismerhető, de nem túl nagy kiterjedésű. Ugyanakkor az sem kedvező, ha a folyosó túlságosan kis méretűre szűkül.
A frontális nézetből készült felvételek elemzése során többször szembesülök azzal a helyzettel, hogy a felső premolárisok negatív torque-értékkel rendelkeznek. Amennyiben ez is korrekcióra kerül, akkor automatikusan egy esztétikailag sokkal kedvezőbb megjelenésű bukkális folyosó alakul ki a kezelés végére.
Azt az ínylefutást tartjuk megfelelőnek, amely a szemfogaknál és a felső középső metszőfogaknál a felső oldalsó metszőknél megfigyelhető nívóhoz képest magasabban fut. A felső oldalsó metszőknél ideális esetben az ínyszél 0,5 mm-rel koronálisabban helyezkedik el. Azonban ennél is fontosabb, hogy az ínylefutás szimmetrikus és harmonikus legyen. Amennyiben korrekcióra van szükség, úgy erre két különböző lehetőség is rendelkezésünkre áll:
• A túlságosan magasan (apikálisan) elhelyezkedő ínyszél esetén parodontális plasztikai műtét keretei között pótolhatjuk a hiányzó ínymennyiséget (pl.: recessziófedés)
• A túl alacsonyan (koronálisan) elhelyezkedő ínyszél esetén pedig gingivektomia alkalmazása révén el tudjuk távolítani az ínytöbbletet.
A mosolygás közben megmutatkozó ínymennyiségnek is meghatározó szerepe van. Amennyiben mosolygás közben az íny túl nagy felületen válik láthatóvá, úgy ínymosolyról (gummy smile) beszélhetünk. A szakirodalom szerint esztétikailag még megfelelő lehet, ha a mosolygás közben láthatóvá váló íny magassága nem haladja meg a 3 mm-t. Azonban ha figyelembe vesszük az évek során megszerzett gyakorlati tapasztalatot és a páciensek egyre növekvő esztétikai igényeit, akkor azzal szembesülünk, hogy a betegeink csupán egy ennél kisebb értéket képesek maradéktalanul elfogadni.
Az alignerekkel végzett fogszabályzó kezelések során csupán a tervezett fogmozgatások elvégzését követően kezdem el az ínylefutás korrekcióját. Ennek az az oka, hogy a fogszabályzás során az ínylefutás jelentős mértékben megváltozhat. A kezelések végén sokkal gyakrabban kerül sor gingivektómiára, mint parodontális plasztikai műtétekre. Az ínymosolyt szintén gyakran gingivektomia alkalmazásával korrigálom.
A szép mosolyhoz természetes hatású világos fogszín tartozik. Az elmúlt években számtalan olyan tudományos cikk jelent meg, amelyben világosan megcáfolják, hogy a fogfehérítés során alkalmazott szerek károsítanák a fogzománcot, vagy növelnék a fogszuvasodás prevalenciáját.
A mélyhúzott sínekkel végzett kezelések végén mindig beiktatok egy olyan találkozót, amely során a páciens fogain lévő összes attachmentet eltávolítom és a szükséges apró korrekciókat is elvégzem. Ezt követően a páciensnek átadok
5. a ábra: A bal felső első metszőfog erősen előrefelé dől, valamint a metszőélek sem egy vonalban helyezkednek el. A felső fogív középvonala a fogazati torlódás miatt 1 mm-rel balra tolódott.
6. ábra: A bukkális folyosó optimális szélességgel rendelkezik.
5. b ábra: A frontfogak dőlése (inklinációja) korrekcióra került. Az alsó fogív középvonalának eltolódása a bal alsó kismetsző (31) eltávolításának köszönhető.
7. ábra: Az ínyszél túlságosan koronális lefutással rendelkezik a bal felső második metszőfognak megfelelően.
Parodontális szondával történő mérések.
egy (revíziós) alignert, valamint 16%-os karbamid-peroxid gélt és instruálom, hogy 2 héten keresztül napi két órán át a fehérítő hatású géllel feltöltött sínt viselje.
A fogak helyzeti rendellenességeinek korrekcióját követően érdemes a fogak klinikai koronájának szélességének és magasságának egymáshoz viszonyított arányait is megvizsgálni (ez optimális esetben 75% és 85% között van). Például a túlságosan keskeny oldalsó metszőfogak kifejezetten előnytelen esztétikai megjelenéssel rendelkeznek. Ha ezzel a problémával állunk szemben, akkor a metszőfogak kom-
ábra: Egy elektrokauter segítségével az ínytöbblet eltávolításra kerül.
10. ábra: Négy nappal a beavatkozás elvégzését követően látható állapot. Szondázás során sem tapasztalható vérzés.
pozittal történő kiegészítését javaslom. Ugyanez igaz, ha a fogak zománcéle az erőteljes abráziós vagy attríciós hatások következtében túlságosan elkopott volna. Ebben az esetben
11. a–b ábra: A fogfehérítés előtt és után látható állapot.
12. a–b ábra: A páciens fogazatát alignerek segítségével korrigáltuk. A fogmozgatások elvégzését követően fogfehérítést és kompozittal történő metszőél-kiegészítést végeztünk. Erre az attríció miatt bekövetkezett anyagveszteség helyreállítása céljából volt szükség.
mesializációs hajlama és a fogazati attríció miatt a szemfogak folyamatosan disztális irányból érkező nyomásnak vannak kitéve. Ennek hatására a szemfogak idővel vesztibuláris irányba dőlhetnek, amely az alsó és felsző metszőfogak torlódásához, vagy rotációjához vezethet. Ezt „harmadlagos” fogtorlódásnak is nevezhetjük. Az így kialakult helyzetet a szemfogak visszahúzásával, valamint a metszőfogak tengelyállásainak kiegyenesítésével és a fogak derotációjával kezelhetjük. Azonban a legtöbb esetben a páciens élete végéig tartó retenciós fázisra van szükség, hogy ennek a jelenségnek az újbóli kialakulását megakadályozhassuk. Szerencsére ezt megfelelő felvilágosítást követően a legtöbb páciens megérti és elfogadja. Az alignerekkel történő fogszabályzó kezelések kezelési terveinek ellenőrzése során mindig figyelembe veszem az előbbiekben ismertetett szempontokat. Ez alapján meg tudok győződni arról, hogy a stabil végeredményhez szükséges funkcionális tér biztosítható-e a kezelés végére.
13. a–b. ábra: A kezelés előtt és után látható állapot. Jól megfigyelhető az overjetben, és a rendelkezésre álló funkcionális tér nagyságában látható különbség.
is érdemes a zománcfelszínt megsavazni és adhezíven rögzülő kompozit tömőanyag segítségével kiegészíteni.
A szabályozd meg, fehérítsd ki, majd építsd fel (AlignBleach-Bond) technika először Amerikában terjedt el és onnan jutott Európába. Ezt a technikát Progressive Smile Designként (progresszív mosoly kialakítás) is ismerik. Ennek az az oka, hogy az egymásra épülő lépések helyes követése lehetővé teszi a páciens mosolyának optimalizálását. Ha a fogakat már előzetesen kifehérítettük, akkor az incizális él kompozittal történő kiegészítése sokkal egyszerűbbé válik, mivel a fogfehérítésen átesett fogzománc sokat veszít az eredeti transzparenciájából. Szintén felhívjuk a páciensek figyelmét arra, hogy a világosabb fogszín megőrzése érdekében célszerű évente két-három napig a fogfehérítő sínt újra viselni. Ez a kompozittömések felszínén megjelenő elszíneződések kialakulását is segít megakadályozni.
Az előzetes fogfehérítésen kívül megfelelő nagyságú funkcionális teret is biztosítanunk kell az alsó frontfogak számára („Envelope of Function“) annak érdekében, hogy ténylegesen szép és hosszan tartó metszőél felépítéseket tudjunk készíteni. Gyakorlati szempontból ez azt jelenti, hogy minimálisan 2 mm nagyságú overjetet kell biztosítanunk, valamint meg kell akadályoznunk az okklúzió közben kialakuló metszőfog-érintkezések megjelenését (12–22, 32–42). A fogak
A szakirodalom szerint a telt ajkak képesek a fogazat előnyös esztétikai megjelenésének további hangsúlyozására. Ezt a felső frontfogak megfelelő pozicionálásával jól ki tudjuk használni. Azonban az életkor előrehaladtával ezek a lehetőségeink csökkennek, mivel az ajakpír vékonyabbá és az ajak laposabbá válik. Ezt a helyzetet pedig nehéz, sőt bizonyos esetekben lehetetlen csupán a fogpozíciók megváltoztatásával korrigálni. Ezekben az esetekben különböző töltőanyagok segítségével (pl.: hialuronsav) és bőrgyógyászok vagy kozmetológusok bevonásával tudjuk hatékonyan az ajkak teltségét helyreállítani.
Az alignerekkel történő esztétikai célú fogmozgatások során csupán egy jól meghatározható számú szempontot kell figyelembe venni. Ha a kezelés tervezése során a páciensről készített fotósorozatot is felhasználjuk, valamint kellő időt fordítunk a kezelési terv kidolgozására, akkor a legtöbb esetben valóban esztétikus megjelenésű és előre jól megjósolható eredményeket érhetünk el. Ha ezt még a kezelés végén kiegészítjük fogfehérítéssel és minimálinvazív módon, kompozittal történő fogforma-korrekcióval, illetve az ínylefutás is optimalizálásra kerül, akkor egy boldog, elégedett és a rendelőnkhöz lojális pácienst biztosíthatunk magunknak. Fontos szempont még, hogy ezt az eredményt nagy anyagi befektetés nélkül biztosítottuk a páciensünk számára.
Forrás: Cosmetic Dentistry 2023/1
Az esztétikai-restauratív kezelésekben számos szempont szorosan összefonódik. Ez különösen így van egy komplex kezelés esetén, ezért a sikeres eredmény csak a fogorvosi rendelő, a fogtechnikai laboratórium és a páciens közötti szoros együttműködéssel érhető el. A szerző felhívja a figyelmet a helyzet konkrét elemzésén alapuló, jól átgondolt eljárásra. A fogtechnikai laboratóriumban többek között az anyagválasztás és a gyártás módja a sikert meghatározó tényezők. A bemutatott beteg esetében a préskerámia (IPS e.max Press, Ivoclar) vezetett a célhoz.
„Legyen egyszerűen szép” – ez a páciens kívánsága az esztétikailag indikált kezelés esetén. De ami a végén egyszerűen szépnek látszik, azt nem mindig egyszerű elérni. Gyakran találkozunk olyan összetett esetekkel, amelyeknél az egyszerű esztétikai korrekció nem jöhet szóba. A bemutatott eset kihívást jelentett a kezelő fogorvosnak és számomra mint fogtechnikusnak is.
A páciens az elülső régióban jelentős fogeltéréssel – szkeletális frontális nyitott harapással – jelentkezett (1. ábra). A páciens esztétikai javulást akart. Fogászati állapota összetett okokra vezethető vissza. Az Angle III. osztályra való hajlam (túlméretezett alsóállkapocs-fogív), amelyet nem diagnosztizáltak időben, valamint a reflux miatt fennálló folyamatos savas expozíció ideális feltételeket teremtett a fokozott fogkopáshoz és az alsó állkapocs ebből eredő funkcionális elmozdulásához. Kezdetben a fogszabályozást rögzített készülékekkel végezték (2. ábra). A felső elülső fogakat direkt rekonstrukciókkal építették fel, és megszüntették a felső és alsó állkapocs közötti funkcionális eltérést (3. ábra). A beteg már ekkor elégedett volt a kezelés eredményeivel.
Ekkor az esztétikai rehabilitáció került a középpontba. A 13–23. fogakat teljes kerámiahéjjal kellett helyreállítani. Ami ebben az esetben első látásra lenyűgöző, az az alsó állkapocs természetes fogainak gyönyörű mamelonstruktúrája (4. ábra). A fogorvos hangsúlyozta, hogy ezt a sokrétű belső színjátékot szeretné átültetni a kerámiarestaurációkba. Azt kérte, hogy próbálják meg reprodukálni a gyönyörű átlátszóságot, valamint a mamelonstruktúrát, amennyire az anyag és a technika, valamint a fogtechnikai készség és a művészi képesség lehetővé teszi. Sok éve dolgozunk együtt, és tudtuk, hogy számíthattunk a sikeres csapatmunkára.
Munkám megkezdése előtt felmértem a jelenlegi fogászati helyzetet esztétikai szempontból. A fogorvos azt tanácsolta
a páciensnek, hogy keresse fel a fogászati laboratóriumot. A tapasztalat azt mutatja, hogy a páciens és a fogtechnikus közötti személyes találkozás során sokkal több információ nyerhető, mint a fényképekből. A páciens laboratóriumi látogatása során egyik célom az volt, hogy azonosítsam a fogak jellemzőit és a sajátos vonásokat, valamint hogy átfogó képet kapjak a fiatal hölgyről. Számomra a személyes kapcsolat döntő szerepet játszik egy esztétikus restauráció elkészítésében.
Ez az eset arra is példa, hogy a digitális technológiák megkönnyítik a cél reprodukálható módon történő elérését. Egy digitális wax-up alapján könnyen és egyszerűen elkészíthető egy 3D mosolyterv (mock-up), és – a fogorvossal együtt –minimálisan invazív módon értékelhető a szájban. A kívánt helyzet előzetes szimulációjának köszönhetően a terv öszszehangolható a beteg kívánságaival még a manuális kidolgozás megkezdése előtt.
A páciens kérésére a kerámiahéjakkal jelentősen meg kellett hosszabbítani az elülső fogakat. Az anyagválasztás döntő fontosságú a hosszú távon stabil eredmény szempontjából. Ebben az esetben három tényezőt kellett a lehető legjobban összehangolni: szilárdság, stabilitás és esztétikai igények. Az anyagnak mindhárom szempontnak meg kell felelnie. És ha őszinték vagyunk, a fogászati technológia iránti szenvedélyünk ellenére egy negyedik szempontot sem lehet figyelmen kívül hagyni: a munka mennyiségét. Ezenkívül ott vannak a megfelelő kézműveskészségek is. A fogtechnikai ismeretek mellett kreatív és művészi készségekre is szükség van. Minden fogászati helyreállítás a fogtechnikus technikai kifinomultságát, motivációját és hangulatát, valamint a rendelkezésre álló időt tükrözi. Páciensünk esetében három lehetőséget mérlegeltem a héjak elkészítésére:
• réteges héjak tűzálló csonkokon,
• préselt héjak labialis rétegződéssel,
• teljesen anatómiai héjak sajtolási technikával.
A rendelkezésre álló információk alapján elvileg mindegyik megvalósítása lehetséges volt. Ezért kritikusan kellett mérlegelni a három eljárás előnyeit és hátrányait, majd kiválasztani a lehető legjobb módszert és az optimális anyagot.
Ha az esztétika a döntő tényező, akkor véleményem szerint a tűzálló csonkokra rétegezett héjak a megfelelő módszer.
Ha az esztétikán kívül más szempontok is fontosak, például a stabilitás, akkor tisztában kell lennünk azzal, hogy ez mit jelent az adott gyártási technikára nézve. Ebben az esetben az elülső fogak meghosszabbítása volt a döntő tényező. A restaurációk nagy szilárdságára és stabilitására volt szükség. Ezért a tűzálló csonkokra történő rétegezés nem volt lehetséges. A döntés a préselt restauráció mellett született. A préselt kerámiák nagyobb szilárdsági értékekkel rendelkeznek, és így nagyobb stabilitást nyújtanak, mint a klasszikus rétegkerámia. Ettől eltekintve a tűzálló csonkokon történő rétegezés technikailag igényes és időigényes is. A munkafolyamat bizonyos szintű kézügyességet igényel. Most egy másik kérdésre is választ kellett adni. A préselt restaurációkat a Cut-Back után leplezni kell, vagy teljesen anatómiaiaknak kell lenniük? Ez a döntés nagyon nehéz volt számomra. A választ ezért egyelőre „elhalasztottam”, és a munkafolyamat más lépéseit részesítettem előnyben.
A fogak preparálása után (5. ábra) a szituációt hagyományos módon kiöntötték, majd modelleket készítettek. A tapasztalat azt mutatja, hogy három munkamodell készítése hasznos:
• Fűrészelt modell, amelyre a restaurációkat gyártják
• Mestermodell, az approximális és okkluzális érintkezések ellenőrzéséhez
• Kontrollmodell az illeszkedés pontosságának ellenőrzésére. Ha a fűrészelt modell megsérül, a kontrollmodell nélkülözhetetlen.
A fogak új morfológiájának kidolgozásához készítettem egy wax-upot. A héjak felviaszolása nem könnyű a törékeny restaurációk esetében. Ha a csonkok jól izoláltak, a viaszszerkezetek könnyen megcsúsznak, megsérülnek, vagy legroszszabb esetben eltörnek. Ha a csonkok kevésbé jól izoláltak, a restaurációk deformálódhatnak és/vagy tönkremehetnek az eltávolítás során. Ezért a filigrán szerkezetek gyártásakor gondosan kell eljárni. A digitalizálás fejlődésének köszönhetően a terv elkészítése és végül a digitális gyártás is könnyen elvégezhető (3Shape Dental Designer) (6. ábra). Egy csapatként együttműködve teljesen a páciens igényeihez igazítottuk a fogpótlások formáját és morfológiáját. A modern technológiák ezt nagyon megkönnyítik. Mindenekelőtt a beállítás azonnal lehetséges, amit nagy előnynek tartok.
A wax-up alapján most már meg lehetett állapítani a kívánt fogforma és a preparált fogak közötti távolságot. Ez az információ fontos ahhoz, hogy a szükséges anyagvastagságokat megőrizzük, és szükség esetén a héjakat labialis rétegződéssel tudjuk ellátni (7. és 8. ábra). A héjak nagyon vékony falvastagsága és az egyidejűleg szükséges foghosszabbítás miatt úgy döntöttem, hogy teljesen anatómiai préselést alkalmazok. Fontos volt, hogy ez az eljárás ne menjen az esztétika rovására. Miután a fogászati tervezés elkészült, a páciens eljött a laboratóriumba. Most a hangsúly a fogszínre és annak jellemzőire helyeződött. Fényképek készültek, és a fogakról színtérképet készítettek.
A megtervezett restaurációkat CAD/CAM támogatással viaszkorongból marattuk ki, a peremterületeket mikroszkóp alatt finomítottuk a fűrészelt modellen, és az illeszkedést a kontrollmodellen ellenőriztük. A préselemet (IPS e.max Press, Ivoclar) az anyagvastagságnak és a kívánt fogszínnek megfelelően választottuk ki. Vékony falvastagságok esetén, mint ebben az esetben is, figyelembe kell venni a csonk színét is. Az én nagy kedvencem az IPS e.max Press MT munkadarab közepes áttetszőséggel, a restaurációk többségét a laboratóriumban ebből készítem. Az anyag természetesnek tűnő, nagy átlátszóságú, így szép és esztétikus eredményeket nyújt (9. és 10. ábra).
A préstechnológia mára tökéletesen kiforrott és rendkívül precíz. Ha az ember követi a gyártó utasításait, és például Programat EP 3010 préskemencét (Ivoclar) használ, jó préselési eredményre számíthat. Ha hibás illeszkedés előfordul,
a hiba általában a felhasználót terheli. A beágyazás anyaga is fontos szerepet játszik. Szeretek az IPS PressVest Premium (Ivoclar) finomszemcsés beágyazóanyaggal dolgozni. A re akciós réteg a préselés után könnyen eltávolítható. A gyártó azt ajánlja, hogy a restaurációk 4 bar nyomáson (durva ki ágyazás), majd finom szóróanyaggal 2 bar nyomáson (finom kiágyazás) legyenek kiágyazva.
Az eljárás során a teljes kerámiához vagy üvegkerámiához megfelelő csiszolóeszközöket kell használni. Először a préscsatornákat távolítottam el egy vékony vágókoronggal, majd a héjak széleit és felületét finom gyémánt- és közepesen finom kerámiapolírozóval munkáltam meg, majd ezután a makrotextúrát készítettem el. A préselés eredménye nagyon pontos volt, ezért csak minimális átdolgozást kellett végezni. Mindig mikroszkóp alatt ellenőrzöm az illeszkedést. A felületi textúra kialakítása után a monolitikusan préselt restaurációkat festési technikával karakterizáltam. Erre
Developing pain-free dentistry around the world
Easy and painless dental procedures with ARTINIBSA
MONOPROTECT INIBSA
Dental Needles
Smooth injections to comfort your patients
IPS Ivocolor (Ivoclar) festő és mázoló rendszert használom. Amit különösen szeretek benne, az az árnyalatok és esszenciák széles választéka. A 35 különböző anyag lehetővé teszi, hogy néhány lépésben bármilyen fogszínt utánozhassunk, és minden elképzelhető mintát karakterizáljunk. Ebben az esetben a természetes alsó fogak mamelonstruktúrája volt a mércénk. A „puha” rétegezéshez IPS Ivocolor-t használtam, és optimalizáltam a mázpaszta állagát, hogy finom mikrotextúrákat hozzak létre. Az erős fényesség selymes csillogássá alakítása érdekében az égetés után a restaurációkat gyémántpasztával és kecskeszőr kefével políroztam, majd a felületet egy finom OptraFine Finisherrel (Ivoclar) véglegesítettem (11. ábra). A gyönyörű selymes fénye ideálisan illeszkedik a természetes szomszédos fogakhoz (12. ábra)
Miután megbizonyosodtunk arról, hogy a fog alakja és hoszsza megfelel a páciens kívánságainak (mock-up), a fogpótlásokat átadtuk a fogorvosi rendelőnek. Izgatottan vártuk a behelyezés napját és a páciens visszajelzését. A végleges fotók a héjakkal önmagukért beszélnek, ahogy a páciens öröme is, amikor először látta magát a tükörben (13. ábra)
A fogszabályozó előkezelés miatti komplex és költséges te-
rápia megérte számára, az eredmény felülmúlta a várakozásait. A fogpótlások természetesen illeszkedtek a szájába, és jól illeszkedtek az arcához és a mosolyához. Mi mint munkacsoport is nagyon elégedettek voltunk az eredménnyel. A mamelonstruktúra utánzása jól sikerült (14. és 15. ábra).
Egyszerűen szép – ennek a páciensnek a kívánsága teljesülhetett. Az egyik alap a jól átgondolt eljárás és a csapaton belüli koordináció volt. Nekünk, fogtechnikusoknak tisztában kell lennünk azzal, hogy minden döntésünknek, amelyet a fogpótlás elkészítése során hozunk, következményei vannak. Ebben az esetben fontos volt, hogy a héjak stabilitására összpontosítsunk, ugyanakkor magas esztétikai minőséget is elérjünk. Ezért választottuk a
70 FPS
Nincs több vezeték
Vezetékektől mentes, a szkennelés bármilyen szögben kényelmes. Az approximális területek könnyedén, korlátok nélkül szkennelhetők.
Hosszú üzemidő, mégis könnyű Kiemelkedő akkumulátoros üzemidő, a hosszantartó szkennelésekhez az Ön kényelme érdekében.
Gyors és pontos
Akár 70 FPS szkennelési sebesség. Megtapasztalhatja a Medit legkelendőbb modelljének elképesztően egyenletes és gyors szkennelési teljesítményét. Élvezze az i700w gyors sebességét vezeték nélkül, hibátlanul.
Erőteljes hardver találkozik a sokoldalú szoftverrel
Kényelemre optimalizálva. Nemcsak hardveres szempontból, hanem szoftveresen is. Az i700w vezeték nélküli szkenner a MEDIT legújabb technológiáit tartalmazza.
Cégünk személyreszabott kurzusokat, ingyenes ügyfélszolgálatot, távszervizt és cseredarabot kínál felhasználóink számára
Szeretne folyamatos, kiszámítható és tervezhető, passzív bevételre szert tenni?
Mit nyújtunk?
Közel 20 éves szakmai tapasztalatot a fogászat, mind a fül-orr-gégészet területén.
Legmodernebb, digitális rendszerű csúcstechnológiás gépekkel a legmagasabb minőségű tűéles felvételeket.
Páciensközpontú szemléletünknek köszönhetően gyors és precíz ügyintézést, az ország 4 frekventált helyén lévő centrumainkban. (4,8 google értékelés több, mint 1000 páciens visszajelzése alapján)
Negyedéves legális pénz visszafizetést a páciens forgalom után, vagy bónuszpontokat, amit beválthat bármilyen fogászati eszközre amire csak szüksége van!
Folyamatos CBCT képzéseket!
Orvoslátogatóink bármikor felkeresik Önt, amennyiben gondjuk lenne.
Mit jelent ez nekünk?
Örömünkre szolgál, hogy folyamatosan Önnel együtt fejlődhetünk és kamatoztathatjuk szakmai tudásunkat.
Amennyiben felkeltettük érdeklődésüket, és szeretnének partnerünkké válni, vagy már partnerünk, de nincs még szerződése, kérem keressen engem bizalommal az alábbi elérhetőségemen: iroda@vipdental.hu
Tisztelettel
Az okklúzió szó jelentése elzárás, elzáródás. A fogászatban minden érintkezést okklúziónak nevezünk, amely az alsó és a felső fogsorunk között létrejön. Ha teljességgel belegondolunk, akkor a fogak érintkezése valójában egy többízületes apparátust hoz létre, melyben minden fog 1 vagy több ízületi egységgel (gomphosis) illeszkedik a maxilla vagy a mandibula csontozatába, melyben a felső fogak egy fix csontozatban, az alsó fogak egy mobilis csontban helyezkednek el, amelynek további két ízülete szintén a fix koponyai részhez illeszkedik ízületesen (1. ábra). Ennek a többízületes rendszernek a működését az izomzat biztosítja mind nyugalomban, mind pedig a rágás során (a beszéd- és légzésfunkcióra most nem térünk ki) (2. ábra). Az izmok és az idegrendszer szempontjából vizsgálva a rágószervet egy olyan rendszert
látunk, amelyben a mandibulában ízületesen helyet foglaló fogaknak a mandibulát az izmok által mozgatva érintkezést kell kialakítani a maxillában ízületesen rögzülő felső fogakkal, és zárást kell létrehozni a felső és az alsó fogazat között. Tehát a rágószerv ezen része egy olyan passzív testrésznek tekinthető, aminek a segítségével, részeinek mozgatásával és működtetésével az étel aprítása megtörténhet (2. ábra). A fogak szerkezetében, állásában történhetnek változások szuvasodás, fogvesztés, pótlás, kopás, fogszabályozás stb. miatt, sőt a fogak helyzetében – az esetleges aszimmetrikus izomterhelés miatt – is bekövetkezhetnek változások, a fogak mozoghatnak, migrálódhatnak, így messzebb kerülhetnek eredeti helyzetüktől. Ennek ellenére az izomzat majd minden körülmény között képes – és egyben feladata is – a fogak érintkezésének, az okklúziónak a kialakítására, a rágásnak mint funkciónak a biztosítására. Tehát az okklúzió ideális vagy kevésbé ideális esetben is létrejön. Az izmok ideális esetben egyensúlyi állapotban vannak, azaz az okklúzió kiegyensúlyozott, Smylist nómenklatúra szerint BOP (Balance Occlusal Position) egyensúlyban lévő okklúzió jön létre (3. ábra). Az izmok feszültsége, aszimmetrikus terheltsége mellett azonban egy kikényszerített fogérintkezés figyelhető meg kísérő tünetekkel (mint szorítás, fájdalmak, izomspazmusok), melyet FOP (Forced Occlusal Position)-nak, forszírozott harapásnak nevezünk (4. a; 4. b; 4. c; 4. d ábrák) Ez a forszírozott, az izmok szempontjából spasztikus állapot aszimmetrikus erőket közvetít a fogakra, ennek következtében képesek a fogak a vándorlásra. Ezért az érintkezés mindig változik, és az évek alatt egyre terheltebb lesz. Egy élet alatt a fogak állapotában, helyzetében bekövetkező változást figyelembe véve találóan beszélhetünk okklúzió 2000, okklúzió 2010, okklúzió 2023 állapotról, fogérintkezésről. Ennek figyelembevételében az okklúzióról mint változatlan egységről beszélni illuzórikus. Az okklúzió egy pillanatnyi látvány az időfolyamban, azaz illúzió. Mivel az izmok hatással vannak a fogak helyzetére, a fogakban bekövetkező
változások pedig az izomzatra, így a fogorvos mindenkori feladata eldönteni „hitvallása” szerint, hogy a kívánt fogpótlást a jelenlegi okklúziós állapotok szerint esetlegesen egy feszült izomkörnyezetben vagy egy ideálisabb izomhelyzetben készíti el, illetve ellenőrzi-e a fogérintkezés, az okklúzió, az izomzat aktuális állapotát. A Smylist Módszertanban az ideális izomállapot megteremtése, majd a fogak esztétikai elvek alapján való megtervezése a cél. A fogorvos így az ideális okklúziót minden esetben az izomszimmetria szerint alakítja ki, és nem a spasztikus izomkörnyezetben létrejött forszírozott harapáshoz igazítva készíti el a fogműveket. Az izmok aszimmetrikus spazmusa egy circulus viciosust indít el. Az aszimmetrikus erők a fogazatra tevődnek át, mely a fogak vándorlását eredményezik, aminek hatására a maxilla fogazat is jelentős helyzetváltoztatáson megy keresztül, és idő múltával az adott harapás jelentősen megváltozik. A felső fogak helyzete az izmokat arra készteti, hogy a mandibula fogazatát a megváltozott helyzet szerint érintsék a felső fogakhoz. Így az izmok is egyre terheltebben, egyre spasztikusabban és aszimmetrikusabban dolgoznak. A mandibula fejecsei ennek hatására szintén egy forszírozott helyzetet vesznek fel, és állásuk az ízületi vápában aszimmetrikus és terhelt lesz. Ez az aszimmetrikus pozíció tüneteket okozhat és TMI problémákat eredményezhet.
Annak megállapítására, hogy az izmok spazmusban vannak-e, illetve működésük aszimmetrikus-e, vannak bonyolult izommérésen alapuló diagnosztikák, azonban klinikailag egyszerű tesztekkel is bizonyíthatjuk, hogy az izomzat aszimmetrikusan és spasztikusan működik. Smylist diagnosztikai tesztek a forszírozott okklúzió megállapítására kialakított indirekt tesztek, melyek az izomműködés aszimmetriáját, a condylusok aszimmetrikus működését vizsgálják.
1. Az arc felfújása: Viszonylag egyszerűen kivitelezhető az arcizomzat szimmetriájának és spazmusának vizsgálatára az arc felfújása. Fényképet készítve megállapítható, hogy a trombita izomzat, illetve a mimikai izomzat mutat-e aszimmetrikus mintázatot. Amennyiben a mandibula nem harmonikus helyzetű, hatással van nem csak a rágóizomzatra, hanem a mandibulát szervesen körülvevő mimikai izomzatra is, így a diagnosztika indirekten értékelhető (5. ábra).
2. Szájnyitás teszt: Amennyiben a rágóizomzat spazmusban van, sem okklúzióból, sem a páciens által „nyugalmi” pozíciónak vélt enyhe szájtartásból nem lehet a szájnyitást kivitelezni. A próba az állcsúcsot megfogva nyitó mozdulatot végezve történik. Az állkapocs BOP-ből könnyedén lefelé mozdítható (6. ábra)
3. A Condylusok helyzetének tesztelése szintén segíthet megállapítani,
hogy az állkapocs inkorrekt helyzetben van. A condylusok palpációja után a fejecsek elé helyezve a tenyér oldalsó élét, a szájnyitás csak kis szájnyitásig kivitelezhető. A közepes szájnyitás kivitelezésekor a folyamat megáll, mert a condylusoknak helyzetet kell változtatniuk, hogy az eminencián szimmetrikusan lecsússzanak, ez a két oldalon a tenyér oldalsó szélével létrehozott akadály miatt, a condylusok helyváltoztatása nem lehetséges. A harmonikus harapásnál ez a jelenség nem megfigyelhető, a szájnyitás a tenyér pozíciójának ellenére kivitelezhető (7. ábra).
4. Egyéb tesztek: Amennyiben figyelembe vesszük, hogy a mandibula nem csak a rágó- és mimikai izomzattal van körülvéve, hanem közvetetten kapcsolódik a távolabbi izomzathoz is, így az izomláncon keresztül a mandibula elmozdulása a nyakizmokra, vállizomzatra, a test izmaira egészen a talp izomzatáig is hatással van. Így ezeknek a távolabbi hatásoknak a tesztelésével szintén a mandibula helyzetére, a mandibulát tartó és mozgató izmok szimmetriájára is következtethetünk. Ilyen tesztek: a fej billentésével a jobb és bal oldali szimmetriának, a fej csavarásával a fej szimmetrikus mozgásának, a kétoldali szimmetrikus kar emelésmértékének a vizsgálata, a törzs-
fordításnak, illetve a láb lenyomatának a vizsgálata (Staticus teszt), amely az állkapocs állásának a test izomzatára közvetített hatását, a test egyensúlyi helyzetének megváltozását diagnosztizálja (8. ábra). Vizsgálható továbbá a fogak okklúziós nyomása is különböző eszközökkel.
Az állkapocs helytelen pozíciójának megállapítását nem csak klinikai tesztek, hanem az arc redőzetének és izomzatának vizsgálata is segíti (Smylist arcredő- és arcizomzat diagnosztika), valamint a szájképleteken látható változások helyes kiértékelése (Orális képletek diagnosztikája).
1. Arcredő diagnosztika: a nazolabiális redő, a szem alatti redők, az orca redőinek, valamint a mentális redőnek a vizsgálata a mandibula rotációját és billenését mutatja meg (9. a; 9. b ábra).
2. Arcizomzat-vizsgálat: Az arc izmainak vizsgálata, azok szimmetriájának, aszimmetriájának megállapítása is az egyik fő szempont az okklúzió jelenlegi állapotának megítélésében. Minél kiegyensúlyozatlanabb, forszírozottabb a harapás, annál kedvezőtlenebb jelek láthatók az arcon, mint hypertrofizált izomzat, lelapult izmok, lapos arcközéprész, megnövekedett állcsúcsi izomzat (10. ábra).
3. Orális képletek vizsgálata: Az állkapocs helytelen pozíciója az izmokat aszimmetrikus működésre készteti. Így az izomműködés különböző erőket közvetít a maxilla és a mandibula jobb és bal oldalára, valamint a fogazatra egyaránt. Ezek az erőhatások és hatásuk következményei, azok súlyossága nyomon követhető a fogágy csontos elváltozásaiban, a fogak helyzetének, dőlésének a vizsgálatával az ínylefutás kiértékelésekor. Következtetés vonható le a
nyaki kopások és a fogak éli részeinek állapotából is. Az exostotikus képletek mindig extra nyomást jeleznek, melynek hatására a fogak intrudálódhatnak, illetve vesztikuláris irányba dőlhetnek. Az ellenoldalon elongáció figyelhető meg, valamint a jugák lelapulása. A nyaki kopások szintén azokon a helyeken figyelhetők meg, ahol nagyobb erőhatások érik a fogazatot. A fogak is itt kopnak, törnek jobban. Aszimmetrikus kopásmintázat tapasztalható a felső és az alsó fogazatban (11. ábra).
ós kilazításával, továbbá a Smylist deprogrammálási technikával is (13. ábra).
Az izomdeprogrammálás után a maxilla-mandibula viszonya látható (14. ábra). A mandibula-maxilla relációja harapásvétellel rögzíthető (Smylist Bite). Nagyon fontos megemlíteni, hogy az állkapocs helyzete mindenképpen a környező izmoktól függ. A maxilla fogazata az izomerők hatására létrejött fogállapotot, fogállást mutatja, így a fogak helyzete szintén az izommun-
A nem egyensúlyban lévő izomzat az állkapcsot is kényszerhelyzetben tartja, ezért a fogászati beavatkozások kivitelezésekor nagyon fontos, hogy az izomzatot egyensúlyba hozzuk, az izmokat relaxáljuk (12. ábra). A relaxált izomzat az állkapcsot nyugalmi állapotban tartja, így elmondhatjuk,
hogy az izomrelaxációs technikákkal az alsó állkapocs helyzetét meg lehet határozni, viszonya a maxillához a relaxált izomkörnyezetben meghatározható, így a fogak érintkezése egy ideális izomkörnyezetben kialakítható. Nagyobb beavatkozás, teljes szájrehabilitáció, fogszabályzás előtt ezért az okklúziót (okklúzió 2023 június) csupán a jelenlegi FOP helyzet megállapítására, diagnosztizáláshoz és dokumentálásra használjuk, a továbbiakban érdemes a kirelaxált, deprogrammált izmok által meghatározott mandibulahelyzettel dolgozni, amelyben a fogorvos teremti meg a harmonikus okklúziót (BOP). Izomrelaxálás történhet hosszú távú készülékekkel, dezorientációs készülékekkel, harapásemelőkkel, nappali készülékekkel, vagy szék mellett az izmok 3 dimenzi-
kára vezethető vissza. Ezért fontos látnunk, hogy az okklúzió kialakításával hatással lehetünk nem csak az arcizomzatra, hanem a test izmaira is. A fogorvosi beavatkozásokat ezért a legnagyobb körültekintéssel, előkészítéssel kell kivitelezni, amelynek elsődlegesen a relaxált izomkörnyezet az alapja. A spasztikus izmok tartós kilazításához éjszakai készülékekre lehet szükség. A Smylist rendszer a Smylist stabilizátorokat egy tudatos három dimenzióban történő izomdeprogrammálás után alkalmazza az eset súlyosságától függően, 3-8 hét intervallumban. A stabilizátorok alkalmazása minden komplex beavatkozás előtt, így teljes szájrehabilitáció, szépészeti héj-korona beavatkozások, fogszabályozás, aligner terápia előtt szükséges, és alapját képezi a komplex terápiának (15. ábra). A stabilizátor terápia hatására az arcizomzat szimmetrizálódik, a redők csökkennek, a középarci rész kifejezettebbé válik, a masseter izomzat csökken. Az izomrelaxáció nem csak az arcizomzaton, hanem a rágóizomzaton is megfigyelhető. A masseter izomzat szimmetrikussá válik, a szájnyitás harmonikus lesz, a deviancia minimalizálódik vagy teljesen elmúlik (16. ábra). Fontos átlátni azt a tényt, hogy az állkapocs egy izomháló rendszerben foglal helyet, a szimmetrikus izommozgások biztosítják a mandibula szimmetrikus mozgásait, így a mandibulával összefüggésben a condylusok szimmetrikus
mint szimmetrikus mozgásukat a szájnyitáskor, harmonikus mozgásukat beszéd és rágás közben. Az okklúziós viszonyok, azaz a helyes egyensúlyban lévő fogérintkezés így minden esetben a mandibula relaxált állapotát követően kerülnek kialakításra (17. ábra). Ez a megközelítés azért is fontos, mert ha alapul vesszük, hogy az állkapocs egy izomrendszerben helyezkedik el, kapcsolatát a koponyával a condylusokon keresztül a temporomandibuláris ízületben biztosítja, akkor a fossákban a szimmetrikus helyzetét az izomszimmetria pozitívan befolyásolja. Ezért az izomdeprogrammált eseteknél, amikor az okklúzió kialakítása szimmetrikus izomműködésben történik, a TMI problémák is csökkennek, elmúlnak, a mérhető mozgáspályák szimmetrizálódnak. A stabilizátor terápia ugyan izomszimmetriát igyekszik kialakítani, de hatása jelentős a TMI panaszok megoldásában is.
A deprogrammált, izomlazításon átesett pácienseknél a harapás regisztrációja, a vertikális harapási magasság megállapítása viszonylag egyszerű, mert nem kell számolnunk a spasztikus izomműködéssel, így a BOP, azaz a harmonikus okklúzió a megfelelő technika segítségével könnyen beállítható (18. ábra). A komplex munkákhoz természetesen használható arcíves regisztráció, támasztócsapos bemérés, a condylus pályák analizálása, ehhez azonban az esztétikai és funkcionális szabályokat kell alkalmaznunk (19. ábra). Az izmok kilazítása, a deprogrammálás, a harmonikus harapási viszonyok beállítása fontos, de a teljes szájrehabilitációra váró páciensek terápiájában ez csupán egy fontos momentum, amely az izomstabilitást, izomszimmetriát adja. Ahogy láttuk, az egyensúlyi állapotban elhelyezkedő mandibula biztosítja az izomfunkcionális alapokat a teljes fogazat, az okklúzió rehabilitációjához. A munka nagy része az esztétikai tervezéssel kezdődik, és a megvalósítással komplettálódik.
Talán nem is gondolnánk, hogy az egyensúlyban lévő okklúzió kialakításához az izomdeprogrammálás után javarészben esztétikai paramétereket kell alkalmaznunk. Talán tapasztaltuk már, hogy a gipszmintán jónak tűnő munka a szájban mosolygáskor esztétikai problémákat mutat, mint például aszimmetrikus mosoly, kifelé dőlő fogak. Ezek általában funkcionális problémákra is rámutatnak. A komplex terápiában a fogak tervezésekor az egyedi középvonal figyelembe vétele, a nagymetsző- és szemfog stopok, Spee és Wilson görbe kialakítása, az okkluzális sík beállítása, a rágózóna meghatározása kulcsfontosságú. A Smylist Módszerben a megtervezett fogformák, ívek elhelyezése mindenkor a páciens egyéni középvonalához mérten beállított okkluzális síkhoz kell igazítani. Ez biztosítja az izmok helyes működését (20. ábra). A hibásan alkalmazott egyenes középvonal sok esetben vezet a későbbiekben TMI problémákhoz, parafunkciókhoz, mégha az izomdeprogrammálást az arc-
mok kilazítását helyesen végezték is. Az izmok előkészítése mit sem ér, ha nem követi egyedi esztétikai tervezés!
A Smylist Módszer 8 paraméterrel dolgozik, melyből 4 tisztán esztétikai, 4 pedig funkcionális paraméter is, azaz az okklúzió és funkció kialakításában van fontos szerepe. Így kapcsolódik össze az esztétika és a funkció megalkotva azt a vázat, azt a keretet a maxilla fogai által, amelyben az izomzat a mandibulát mint passzív csontelemet helyesen tudja mozgatni, és a fogak érintkezését harmonikusan, feszülésmentes izomzattal érintkeztetni. Ekkor a protrúziós, lateropulziós mozgások helyesek, mind pedig a nyitó-csukó mozgás helyesen kivitelezhető, deviancia, aszimmetrikus mozgás nem észlelhető, a condylusok szimmetrikus mozgást hajtanak végre kimozdulva a vápából az eminencián végighaladva (21. ábra).
A Smylist 8 paramétere közül Esztétikai paraméter a nagymetsző fog alakja, a kismetsző fog alakja, éli konfigurációjuk és egymáshoz viszonyított vertikális elhelyezkedésük.
Esztétikai és Funkcionális paraméternek tekinthetők a szemfogak alakja, állása, mellyel a szemfog stopok, majd a helyes lateropulzió alakítható ki egyedileg, az incisális ív, amely lehet egyenes, felfelé, lefelé ívelt, pillangó alakú, ezzel biztosítva a Spee görbe helyes kialakítását, a premoláris moláris fogak inklinációjának mértéke, mellyel a helyes rágózóna kijelölhető, valamint az orovresztibuláris frontfogelhelyezkedés, amely a frontális és laterális stopokat, így a rágózóna határait kijelöli (22., 23., 24. a-b-c., 25. ábra).
24. b
Szoftveres tervezés Smylist Aesthetic Szoftverrel.
Ha a tervezés az arc elemeinek, illetve az egyedi középvonalnak megfelelő, akkor a fogtechnikus végső dolga a fogak helyes felállítása, kialakítása és a csücsök-barázda rendszer komplettálása oly módon, hogy rés, aszimmetrikus mozgási lehetőség ne legyen a mandibula számára. Sok esetben ezt a munkát, a tervezést és a kivitelezést a szoftverekkel is elvégezhetjük, amelynek során a CAD/CAM rendszerek kialakítják a fogak okklúziós érintkezését a beszkennelt harapásnak megfelelően (27., 28. ábra).
Tervezés Smylist Szoftverrel 2D-3D connect rendszerrel.
25.
Tervezési sorrend a megvalósításig. Egyedi középvonal, okkluzális sík kijelölése, fogfelállítás, tervezés szoftverrel.
28.
kialakítása Smylist szabályok szerint izomdeprogrammálás után.
A fogak érintkezésének, az okklúziónak a kialakításához tehát az izmok előzetes kilazítására, az egyensúlyban lévő izomzat stabilizálására van szükség, majd az izomdeprogrammáláskor felvett mandibula pozíciójának, relációjának rögzítésére, és a maxilla fogazatának tudatos, az arc szerkezetéhez és az arc középvonalához illeszkedően történő esztétikai és funkcionális kialakításá-
6
ra (29. ábra). A helyesen beállított fogak az izmokat egyensúlyban tartják, azáltal, hogy a mandibula számára kijelölik a helyet a rágásra és a relaxációra, így nem jön létre az a helyzet, hogy az állkapocs előrefelé vagy oldalirányba eltérhessen, és abban az irányban izomrövidülést, izomspazmust hozzon létre. Az íly módon megtervezett és kialakított munkák hatása az arcra, az arcizomzatra, a condylusok működésére és a testizomzatra is pozitív. Az arc fiatalosabb, finomabb vonalú lesz, TMI problémák és járulékos problémák csökkennek, a helyes pótlás pozitívan
befolyásolja a nyakmerevséget, a migrént és a testi izomfeszüléseket is. A mandibula központi szerepe érthetővé válik akkor is, ha megszemléljük a fasciák elhelyezkedését testszerte. Ezek a finom hártyák a teljes testizomzatot behálózva megtalálhatók az izmok borításaként. A mandibulától távolabbi izomterületek feszülése részben tehát ezeknek a hártyáknak és a bennük futó idegeknek is köszönhető. A harmonikusan kialakított okklúzió ezen elemek feszülését is csökkenti (30. ábra).
További információ, oktatás: maria.csillag@smylist.com
A magabiztos mosolygás nem csak álom!
Vágj bele a láthatatlan fogszabályozásba
és mosolyogj bátran!
Mosolyogj felszabadultan!
Hogy mi szól a ClearCorrect mellett?
kényelmes
hatékony
víztisztán áttetsző, vagyis
teljesen láthatatlan
fémmentes
könnyű tisztítani
A kompozit fogpótlások határozzák meg rendelőink mindennapjainak ritmusát. Akár a rehabilitáció végső célját, akár a kezelési terv közbenső szakaszát jelentik, kivitelezésüknek egyszerűnek és reprodukálhatónak kell lennie. Az anterior területeken szigorúan tanulmányozni kell a formát, a színt és az okklúziós állapotot a kívánt esztétikai és funkcionális követelmények elérése érdekében. A hátsó fogak tekintetében a direkt restaurációknak két fő célt kell teljesíteniük, a biológiait és a funkcionálist. Bár az esztétika nem maradhat el, a csücskök morfológiájának tiszteletben tartása minden bizonnyal nagyobb jelentőséggel bír.
Több mint egy évtizede kompozit rezint használnak ezeknek a specifikációknak a megvalósítására. Egyszerű alkalmazásuk, mechanikai ellenállásuk, polírozhatóságuk és optikai tulajdonságaik lehetővé teszik, hogy idővel tökéletesen integrálódjanak a természetes szövetekbe. Ezen anyagok közül a GC G-ænial termékcsaládja már 10 éve bizonyít. Legfiatalabb tagja, a G-ænial A’CHORD most született, és ugyanolyan ígéretesnek tűnik, mint az előző verzió. Kevesebb számú árnyalattal ugyanazokat a szituációkat fedi le, mint elődje, a polírozás után jelentősen javított konzisztenciával és felülettel. Az itt bemutatott két eset példák az anyag sikeres alkalmazásának lehetséges módjaira.
Egy 40 éves, általánosságban jó egészségi állapotú páciens sürgősségi konzultáción vett részt. A dohányzóasztalára esett, ami törést okozott a 21-es fog meziális szögétől annak középső harmadáig. A fog pozitívan reagált a pulpa érzékenységi tesztre. Tekintettel a reprodukálandó színekre és texturális jellemzőkre, egy időpontot hoztunk létre a kompozit rétegzéssel történő javításra. A páciens a mosolya esztétikáját is javítani akarta azzal, hogy csökkenteni szerette volna a 21. és 22. fogak közötti látszólagos fekete háromszögeket. A sürgősségi konzultáció során lenyomatot készítettünk a wax-uphoz és elkészítettük az ideiglenes helyreállítást egyárnyalatos kompozit technikával. A traumát követően nekrotizált 11-es fog parodontális remediációját és endodontikus kezelését a kompozit rétegzés előtt végeztük el.
18.
Egy töltetlen rezinnel (Modeling Liquid, GC) átitatott ecset használata megkönnyíti a kompozit formázását és igazítását.
Egy 15 éves, jó általános egészségi állapotú páciens jelentkezett ellenőrzésre. Helyi érzékenységről számolt be, főleg édességre, a 36-os fogon. A fog pozitívan reagált a pulpa érzékenységi tesztre, és morfológia nélküli okklúziós kom-
pozitot tartalmazott. A klinikai és radiográfiai vizsgálatok másodlagos fogszuvasodás jelenlétét mutatták ki a kompozit alatt, ami mikroszivárgást mutatott a széleknél. Egy időpontot ütemeztünk be a kompozit eltávolítására és annak meghatározására, hogy lehetséges-e a kompozit egyszerű kicserélése direkt technikával. Ebben a szakaszban az üreget 2% klórhexidin-oldattal fertőtlenítettük, hogy csökkentsük a baktériumterhelést a fogszuvasodás eltávolítása során, ami pulpa expozícióhoz vezethetett volna. Tisztítás után az üreget kialakítottuk. Úgy tűnt, hogy a pulpafal távol van a pulpakamratól (0,5 mm). A fennmaradó falak vastagsága lehetővé tette számunkra, hogy a direkt kompozit helyreállítást válasszuk.
csücsökre” megközelítéssel19. ábra: A mikro anatómia kialakítása vörös lándzsa alakú csiszolófejjel. 20. ábra: Elő-polírozás egy pink szilikon koronggal (Diacomp TwistPlus® , EVE). 21. ábra: Polírozás bézs színű szilikon koronggal (Diacomp TwistPlus® , EVE). 22. ábra: A helyreállítás felülete finírozás és polírozás után. 23. és 24. ábra: A fekete háromszög csökkentése közepes opacitású A2 árnyalat használatával. 25. ábra: Közvetlen posztoperatív helyzet. 27-32. ábra: Végleges helyzet egy hetes utánkövetéskor. 26. ábra: Posztoperatív röntgenfelvétel.
5. ábra: A fogszuvasodás eltávolítása centripetális módon történik. – 6. ábra: Savazás 37%-os ortofoszforsavval 10 másodpercig. Ezt bőséges öblítéssel távolítjuk el. – 7. ábra: G-Premio BOND® (GC) univerzális bond anyag alkalmazása. Ezt felvisszük és erőteljesen bedörzsöljük a fogfelületekre, majd erősen megszárítjuk a fénypolimerizálás előtt.
2 mm-es kompozit réteg felhordása az üreg felületére, injektálható kompozit anyag (G-ænial Universal Injectable® A2, GC) használatával. – 10. és 11. ábra: A G-ænial A’CHORD kompozit® A2 (GC) könnyen formálható a csücskök megalkotásáért.
A további csücskök kialakítása egymás után ugyanígy történik, ezáltal megalkotva az okkluzális anatómiát. – 14. ábra: A kompozit festék (Brown Modifier®, Essentia ModifierKit, GC) használata lehetővé teszi a morfológia kiértékelését és annak biztosítását, hogy ne legyenek rések. – 15. ábra: 40 másodperces fotopolimerizáció minden oldalon gliceringél (AirBarrier® GC) alatt.
Korszerű univerzális kompozit
Egyszerűség, esztétikum
és teljesítmény a kezeiben
https://europe.gc.dental/hu-HU
A száj és a fogak nemcsak a táplálkozás és az emberi kommunikáció fontos részei, de esztétikai szempontból is jelentős szerepük van. Az egészséges fogak és fogíny egészségünk meghatározó elemei, a hibátlan, derűs mosoly pedig minden egyén kívánsága.
Az íny leggyakoribb gyulladásos megbetegedése a gingvitis vagy fogínygyulladás, mely legtöbbször a rossz szájhigiénia következményeként jön létre. A begyulladt és vérző fogíny a rossz lehelet mellett a betegség első jele. A gingvitist tehát gyógyítani kell, mert különben a gyulladás előrehaladott állapotában a gyulladt íny gócként szerepel, mely gócbetegségeket okozhat.
Az egészséges ember szájában folyamatosan jelen vannak mikroorganizmusok, amelyek szaporodása az íny gyulladásához vezet, és idővel a fogágy többi része is érintett lesz, paradontitis jelentkezhet. A tasakok mélyebbek lesznek, ezért a gyulladás ráterjed a mélyebb paradontális szövetekre is. A fogágygyulladás következtében a fogakat rögzítő szövetek elbomlanak, a betegség pedig átterjedhet az állkapocs csontszövetére is. Ennek együttes következménye, hogy a fog tartószerkezete meggyengül, elbomlik, így a fogak meglazulnak, majd kihullanak.
A hialuronsav a szervezet természetes anyaga és az egészséges fogíny fontos komponense.
Alkalmazása a fogászatban:
– csökkenti a szájnyálkahártya-irritációt
– megvéd a fertőzésektől
– felgyorsítja a sebgyógyulást és szövetregenerációt – csökkenti a fogínyvérzést, a foggyulladást és a duzzanatot
A kutatások kimutatják, hogy a hialuronsav fogászati alkalmazása jelentős mértékben hozzájárul az ínybetegségek megakadályozásában és gyógyításában.
A gyógyszertárakban és speciális üzletekben különböző formákban és kiszerelésben már 3 éve kapható a Gengigel, ami az egyedüli hialuronsav-alapú készítmény.
A termékcsalád használata egyszerű, gyermekek, terhes nők és cukorbetegek egyaránt használhatják. A hialuronsav tartalma miatt hatékony megoldás az alábbiakra:
– ínyvérzés
– gingivitis (fogínygyulladás)
– parodontitis (fogágybetegség)
– megsértett íny (sebészeti beavatkozás, foghúzás, fogpótlás után)
– korona, híd, fogprotézisek miatt irritált szájnyálkahártya
Ezen tulajdonságai alapján bátran állíthatjuk, hogy a Gengigel az egészséges fogíny receptje.
Forrás: Medis sajtóanyag
Hialuronsav
Az egészséges fogíny receptje
Az egészséges fogíny receptje
Az egész csalàd számára
gél/szájöblögető oldat/szájspray/baby gél
■ csillapítja a vérzést
■ elősegíti a sebgyógyulást a szájüregben
■ elősegíti a szövetregenerációt
■ csökkenti a duzzanatokat
■ védi a szájnyálkahártyát a fertőzésektől
misike a fogzás időszakában
opron,
1077
Loupes and lights
1135 Budapest, Frangepán u. 66/B. +36 1 236 4000 | info@newyorkdental.hu www.newyorkdental.hu
Fogászati kereskedelem
• AMPRI: színes e.h. eszközök;
• Anger: matricák, ideiglenes koronák, fényvezető ék;
• ASA: műszerek, egyszer használatos eszközök;
• BISCO: cementek, bondok, kerámiajavító;
• FKG: endodonciai eszközök;
• DTS: színes műanyag lenyomatkanalak;
• NEOLIX: gépi gyökérkezelő tűk;
• OLIDENT: tömőanyagok, sav, bond;
• ORO CLEAN: fertőtlenítőszerek;
• PROMEDICA: cementek, tömőanyagok, alábélelők;
• SCORPION: scaler végződések, implant tisztításhoz is;
• SHOFU: cementek, tömőanyagok, csiszolók;
• SS White: koronafelvágó, karbid- és gyémántfúrók;
• TIDI: védőmaszkok;
• WHITEWASH: fogkrém, fogkefe;
• ZHERMACK: A- és C-szilikon, alginát lenyomatanyagok.
Közvetlenül az importőrtől:
HERBODENT Kft.
✉ 1025 Bp., Szépvölgyi út 52. % 325-7129
%/fax 325-7220, mobil: 30/203-6957, 30/241-5737 e-mail: herbodent@herbodent.hu, www.herbodent.hu
1067 Budapest Podmaniczky u. 39. Tel.: +36 1 311 65 84 www.drvolomdental.hu Straumann GmbH