















A nyár végével mindig felpörögnek az események, egymást érik a szakmai rendezvények, melyeket végre meg lehet rendezni, és nem mellékesen személyesen részt vehetünk ezeken. Az elmúlt időszak azonban tartogatott váratlan fordulatokat, sajnos a nyaralás nem mindenki számára volt nyugalmas. Szakmánkat, a fogászati vállalkozásokat is jelentősen érin tették az utóbbi idők gazdasági változásai. Kezdődött a KATA hirtelen megszüntetése, vagyis olyan jelentős változás követ kezett be ebben az adózási formában, hogy tulajdonképpen ki jelenthetjük, hogy nagyon sokak számára megszűnt ez a ked vező adózás. Bár a szakmát nagyon megosztotta ez a különleges, és „olcsó” adózás, ugyanis sokan nem értettek ezzel egyet, mondván na gyon torzítja a gazdasági versenyt, nem biztosítja a vállalkozá sok egyenlő adózási feltételeit, így versenyelőnyt eredményez. Ebben bizony nagyon sok igazság van, de tudom, hogy azért ez sok fogászati vállalkozást érintett érzékenyen. Ezeknek a cé geknek most keresni kell újabb megoldást, másik adózási le hetőséget. Bízom benne, hogy ezt gyorsan megtalálják, és az ágazaton belüli gazdasági helyzet is pozitív irányban változik.
A következő nagy változást a szakma életében az energiaárak drasztikus megemelése okozza majd, vélemé nyem szerint nagyon érzékenyen fog érinteni sok-sok vállalkozást, rezsiköltségeik jelentős mértékben fognak emelkedni, melyeket
rekkel, de gondolom, nem árt, ha azért figyelünk, és készülünk a nehézségekre, így könnyebben tudjuk azokat kezelni. És most térjünk át kellemesebb területre, az őszi szakmai programokra. A pandémia elmúlásával beindultak a különböző rendezvények, kiállítások, egyik éri a másikat. Természetesen, mint már évek óta, az idei ősz legjelentősebb fogászati rendezvénye is a Dental World 2022 volt. A rendez vény évek óta a legtöbb látogatót vonzza, mind hazánkból, mind a környező országokból egyaránt. Az idei kiállítás és továbbképzések fókuszában az esztétika és az implantoló gia állt, kiemelt témáka digitális fogászat és a protetika volt. Érkeztek előadók az Egyesült Államokból, Olaszországból, Németországból, Kínából, Izraelből és nem utolsósorban Ma gyarországról. Voltak elméleti és gyakorlati előadások, élő műtétek, kiváló fogorvosi és fogtechnikai előadások. Az idén is megrendezésre került a nagyon sikeres Tanuló Nap, fogorvosés fogtechnikus-tanulók részére, valamint a nagy tradíciókkal rendelkező Földvári Kongresszus, melyen fogorvos-fogtechni kus párosok tartottak nagyon izgalmas prezentációkat.
Remélem, sokan kilátogattak az év legnagyobb fogászati ese ményére. Lapozgassák újságunkat, olvasgassák publikációin kat.
Tisztelettel
Át kell alakítani a laboratóriumok energiafelhasználását, és bizony a megemelkedett költségeket be kell építeni a termé kek árába, és akkor még nem beszéltem a 410 forintos euróról, mely szintén negatívan érinti szakmánkat, ugyanis jelentősen emelkednek az alapanyagok árai. És az ősz még csak most kez dődik, azt hiszem, fel kell készülnünk további nehézségekre. Persze senkit nem szeretnék ijesztgetni különböző negatív hí
nem lesz egyszerű beépíteni az árakba.
Makó János és Péry Eleonóra interjú – páratlan páros 8
Oktatási információk a tanév kezdetén 16
Esztétikus harmónia 18
Ideiglenes a laboratóriumból – esztétikai „követelmény” 24
A színhatás tökéletesen egyedi helyreállítása VITA LUMEX AC leplezőkerámiával, limitált helyviszonyok mellett 34
Egyszárnyú ragasztott híd készítése 37
Kitűnő fénydinamika és magas égési stabilitás jellemzi az új leplező kerámiát 46 Andrea új mosolya 50
Új paradigma az esztétikai helyreállításban 56
Vajas kenyerünk 64
Azt kapod, amit festesz: egy teljes kerámia ,,upgrade’’ 73
Termékújdonságok 76
E-Journal V. évfolyam, 2022. 13. szám
Kiadja: DP Hungary Kft. 1012 Budapest, Kuny Domokos u. 9.
Felelős kiadó: Laczkó Tamás
Főszerkesztő: Róth Lajos
Előkészítés: DP Hungary Kft., Sárközi András e-mail: grafika@dental.hu
Információ, hirdetésfelvétel: Bárdos Veronika, telefon: 06-30-472-0030, 06-1-793-1874
Az újság e-mail címe: info@dental.hu
Az újság internetcíme: www.dental.hu
Terjesztés : E-mail hírlevél formájában.
A tudományos közleményeket a szerkesztő ség lektoroknak adja át véleményezésre. Közlés csak egyetértő lektori vélemény, illetve a javasolt módosítások elvégzését követően lehetséges.
A cikkek szerzői vállalják, hogy az általuk elküldött írás saját forrásból származik, illetve a felhasznált anyagokat (publikációkat, illusztrációkat, képeket stb.) mindenkor pontosan feltüntetik. Írásaiknak jogi és egyéb adatvédelmi kérdéseiben felelősséget vállalnak.
A német nyelvű szakmai cikkeink magyar fordítását az Oemus Media AG Kiadó engedélyével szerkesz tettük lapunkba. A fel nem használt kéziratokat, fotókat nem őrizzük meg, és nem küldjük vissza.
A hirdetések tartalmáért nem vállalunk felelősséget. A gyártó, illetve forgalmazó cégek kérésére közzétett cikkeket keretbe foglalva közöljük és (x)-szel jelöljük, azok szakmai tartalmáért a szerkesztőbizottság nem vállal felelősséget.
Mit hoz a 2023-as esztendő a fogászatban? Milyen új trendek, eljárások, technológiák várják a mindig megújuló szakmát? Hogyan tud versenyképes maradni a nyitott és egyre zajosabb nemzetközi piacon?
A továbbképző rendezvényre Önt is várjuk, ha nem elégszik meg a tegna pi ismereteivel, és mind elméleti, mind gyakorlati megközelítésben lépést akar tartani a világgal. A szervezők korábbi tapasztalatai és a nemzetközi rendezvényeken gyűjtött új ismeretek alapján egy szélesebb körű, átfo góbb koncepciót és tematikát mutat be a VIII.
Két szakember, akiket sokan ismerhetünk a fogászati életből. Makó János világhírű fogtechnikusmester és Péry Eleonóra, Jana angol nyelvű szakmai tolmácsa, emellett az ő feladata az angol nyelvű kurzusok esetén a külföldi ország szervezőivel való kapcsolattartás és a szervezési munkák segítése is. Ismeretségükről, közös munkájukról, élményeikről és tapasztalataikról kérdeztem őket, ők pedig igazi összhangot közvetítő, párbeszéd jellegű interjúban fejezik be és egészítik ki egymás gondolatát. Éppen úgy, mint ahogy zajlik ez a való életben is munkájuk során, de itt most az interjú során, a munkájuk szakmai és személyes hátterét ismerhetjük meg.
P. Nóra: Az első libanoni kurzusban segítettem a kinti szer vezőnek, így történt, hogy angol nyelvű kapcsolattartó let tem, majd a második bejrúti kurzuson már tolmácsoltam is, 2015-ről beszélünk. Arra törekszem, hogy a lehető legzökkenőmentesebben bo nyolódjon le egy-egy közös utazásunk. Nem csak a kurzu son kell mindennek működnie, hanem az utazás feltételeit is biztosítani kell, amiből tevékenyen kiveszem a részem.
...és tényleg ott, a gyártása városában, Dublinban a legfino mabb.
Hogyan ismerkedtetek meg?
P. Nóra: 2006–2014 között képviseltem az Ivoclar Vivadent céget az országban és így ismertem meg Janát a Tűzoltó utcai laborban, ahol egy szobában dolgozott Császár Dé nes Horváth Keve, Románszki Laci és persze Jana.
Jana: Én akkor már a GC cég Initial kerámiájának a de monstrátora voltam, de ez nem akadályozott meg minket abban, hogy jó emberi és szakmai kapcsolatot alakítsunk ki egymással. Komoly támogatója volt az általam szerve zett tanulóversenyeknek és a kerámiás iskolámnak is.
P. Nóra: Tehát végül is mi már akkor jó kapcsolatban vol tunk, mikor még szó sem volt arról, hogy elkezd repkedni szerte a világban kurzusokat tartani!
Miként és hogyan kezdtétek el a tanfolyamok szerve zését közösen? Kinek mi a feladata kettőtök szakmai kapcsolatában?
Jana: Nekem elég könnyű dolgom van – tulajdonképpen semmi más a kurzus megtartásán kívül. Nóra precízen el látja információkkal a szervezőket, pl. mi kell, hogy rendel kezésre álljon a kurzuson. Mindent leszerveznek közösen, ott helyben végigviszi a fordítást. Ha pedig vége a napnak és esetleg elmegyünk valahova a szervezőkkel, akkor még ott is folytatja a fordítást. A kurzust követően pedig fenntartja az ott kialakult jó kapcsolatokat, így nekem tényleg semmi más feladatom nincsen, csak a kurzusra koncentrálni, azt fejleszteni. Ha pedig itthon tartok kurzust, akkor rendszerint azt is Nó ra menedzseli. Ott neki dupla feladata van: megszervezi a kurzust és még tolmácsol is a külföldi résztvevőknek.
Kuvait – A kurzus szervezője – Majed Al Qallaf – Budapesten vé gezte el a fogtechnikát, így tudtunk vele magyarul is beszélgetni.
Hogyan néz ki a szervezési folyamata egy adott előa dásnak? Hogyan készültök fel, milyen logisztika bújik meg emögött? Hogyan néz ki a folyamat a megkereséstől az előadás végéig.
Jana: Az egész folyamat úgy kezdődik, hogy felkér egy kül földi kolléga, vagy/és kurzusszervezéssel foglalkozó em ber, hogy tartsak náluk kurzust. A Facebookról, az Instag ramról, hírből, vagy személyes ismeretség alapján talál nak rám. Amennyiben angol nyelvű oktatást szeretnének, akkor átirányítom Nórához, hiszen ő az angol hangom, an gol szervezőm. De előfordul, hogy közvetlenül őt találják meg, hozzá fut be a felkérés.
P. Nóra: A felkérést követően levélben elküldjük a feltéte leket, majd utána megpróbálunk egy időpontot egyeztetni a kívánt kurzustípusnak megfelelően. A prototípus mo dellszetteket – melyeket majd a kinti szervezők sokszo rosítanak – a Bridge Dental csapata készíti és postázza a megfelelő címre, ezért nagyon hálásak vagyunk nekik.
Jana: A felkészülés nekem annyi, hogy megpróbálok min dent összepakolni, ami szükséges az oktatáshoz. Eszkö zök, anyagok, szemléltető dolgok, speciális oktatómodel lek… Talán még az is a készülés része, hogy tulajdonkép pen időről időre, folyamatosan, kisebb-nagyobb részben módosítok a kurzusokon. Születnek új ötletek, levonom a tanulságokat, próbálom a hatékonyságát növelni a há rom-, ill. a hatapos képzésnek. A kurzus után – persze közben is – kíváncsiak vagyunk a hallgatói visszajelzésekre, hiszen ez segít a folyamatos fejlődésben, fejlesztésben.
Mikor előadást tar totok, milyen ext ra, akár fakultatív programokon vesz tek részt?
P. Nóra: Ez függ a szervezőktől is! Rit kán, de előfordult már, hogy a szervező a saját otthonában látott vendégül min ket, összesen három ilyen alkalom volt 2016 óta. Volt már rö videbb városnéző sé tánk, de volt olyan is, amikor valaki külön hosszabb programot is szervezett nekünk.
Jana: Többnyire a szervező elvisz minket várost néz ni, megmutatja a helyi nevezetességeket, környéket. Ezt mindketten nagyon élvezzük, hiszen így rengeteg élmény nyel, tapasztalattal gazdagodunk.
P. Nóra: Ilyen volt például egy nyári, vilniusi csónakázás.
Jana: Meghívóinknak köszönhetően jutottunk el például Jordániában Petrába és Indiában a Tádzs Mahal-ba. Mind két helyen csak ámultunk, bámultunk, hálát adtunk azért, hogy ott lehetünk. Nem véletlen, hiszen mindkettő az UNESCO kulturális világörökség része és egyike a világ hét új csodájának.
Litvania, Vilnius – Csodálatos csónakázás dr. Agne Malisauski ene vendéglátónkkal és családjával. Agné egyébként az idei Dental World-ön tartott előadást.
De valahol egyáltalán nem foglalkoznak ezzel a vendéglátóink. Dubai-ban például egy nagyon kedves résztvevő vitt el minket városnézésre. Ott többek között a Burj Khalifa ejtett ámulatba minket a maga 828 méteres magasságával és csillogásával.
Milyen országokban jártatok eddig közösen?
P. Nóra: Libanon, Kuvait, Jordánia, Irak, Egyesült Arab Emír ségek, Tajvan, Litvánia, Bulgária, Egyesült Királyság, Íror szág, Portugália, India és Brazília.
Jana: Én eddig 29 országban tartottam kurzust. Nóra a tolmácsaim közül az, akivel a legtöbb országban voltam együtt… ezek szerint 13-ban.
Legutóbb Indiában jártatok, úgy tudom, most voltatok ott először. Milyen élményekkel gazdagodtatok? Milye nek voltak ott a feltételek?
A cikkben említett ,,iskola belülről”. Indiában, Agra városában, és a má sodik képen a bejárata látható!
P. Nóra: A szervezés és a szerve zők fantasztikusak voltak! Az or szágnak egyaránt láttuk a szép ségét, az előnyös és a hátrányos oldalát is, ez utóbbi egy európai embernek felfoghatatlan.
Jana: Dudálnak, mert: vigyázz, jövök, vigyázz, melletted vagyok
Mivel a reggel hatórai nyitáskor már a Tádzs Mahal kapuinál voltunk és az eső is öntözött minket – tudtunk olyan fotót készí teni, ahol csak hármasban voltunk –mi és az egyik ,,csoda”.
és nehogy rám húzd a kormányt, nem látom, hogy valaki jön-e szemből, egy járókelő, kutya, tehén van az útjukhoz közel, ha mérgesek… stb. Tehát mindig dudálnak. Ott az emberek így élnek, a dudaszóval! Óriási zaj, zsúfoltság, szegénység és szemét van.
P. Nóra: És mindezt persze fordított közlekedés mellett. Janának meg persze például ilyen esetben is teljesen nor mális marad a pulzusa, ezzel szemben nekem volt olyan, hogy azt hittem, most lesz végünk.
Jana: Nórát élvezet látni ilyenkor!
P. Nóra: Ja, és a forgalom kellős közepén és az emberek mellett jön még tehén, kutya, meg bicikli és még ilyenolyan jármű is!
Jana: Nagyon nagy kontrasztot láttunk ott. Professzionális szervezés, hihetetlen vendéglátás, kedvesség, és közben beleláttunk az ottani ,,való világba” is, ami azért elég sokkoló volt.
P. Nóra: Érdekesség, hogy pl. a hőmérsékletet is maga sabbnak érzed ott. A levegő szinte éget, mint megtudtuk, mindez köszönhető a levegőszennyezésnek, a rengeteg nem korszerű járműnek, iszonyú tömegnek.
Jana: Döbbenet volt ilyen testközelből látni a nyomort. Amikor hazajövünk, Magyarország egy oázisnak tűnik. Könnyebb az ilyen élmények után értékelni a számunk ra természetes dolgokat, könnyebb hálásnak lenni érte, könnyebb helyén kezelni a problémáinkat.
P. Nóra: A szervezőinknek köszönhetően eljutottunk a Tádzs Mahal-hoz, ami lenyűgöző, fantasztikus, kiérdemel ten a világ egyik csodája. Majd visszafelé bementünk egy „iskolába”, aminél egy vi déki elhagyatott csirkeól is különbül néz ki. Deepak, a szervezőnk elmondta, hogy ez nem állami is kola, ide a nagyon szegények adják be gyerekeiket, inkább megőrzés céljából, hogy ne az utcán lődörögjenek.
India előtt Bagdadban, Irakban volt egy kurzusotok, melyre a szervező, az Isahtar Dental klinika két éve várt. Milyen érzésekkel indultatok egy volt háborús övezetű országba előadást tartani? Milyen volt az utatok? Mi lyen különleges felkészülést igényelt?
P. Nóra: Egy első szervezés, új országban, eddig ismeretlen szervezőkkel, ilyenkor mindig nagyon izgulok. Tényleg két évet vártak Janára, ennek megfelelően, nagyon lelkesen fogadtak minket és végig figyelmesek voltak velünk.
Jana: Mindketten benyeltünk valami helyi, nekünk szokat lan bacit, így kissé betegen érkeztünk haza. De tanulva az esetből, Indiában már óvatosabbak, felkészültebbek vol tunk. Vittünk magunkkal jó kis hazai pálinkát és minden étkezés előtt-után belsőleg fertőtlenítettünk.
Mennyiben befolyásolják a kurzusok tematikáját a kul turális körülmények?
Jana: Van néhány olyan kép és poén, amiket nem mutatunk meg, ill. nem mondunk bizonyos keleti országokban.
P. Nóra: Az ilyen régiókban megkérdezem a szervezőket, hogy milyen az előírt viselet és ha nincs különös elvárás, akkor is zártabb és visszafogottabb az öltözködésem. Ed dig az egyetlen hely, ahová nem jutottam el, majd másfél éves szervezés után, Szaúd-Arábia, Riad volt. Ott speciális öltözék, abaja kellett volna.
Jana: Ott a kurzus előtt derült ki, hogy Nórát a női mivolta miatt nem engedik be az országba. Stanusic Igor segített
Az izotónias kókuszviz... Mmmmmm! Brazília, Santos.ki minket hirtelen. Ő meg is kapta a vízumot…hiszen férfi. Hazautazásnál a vendéglátóink elfelejtettek szólni, hogy nem szabad rövidnadrágban kimenni a reptérre…lett is ki sebb felfordulás, amint megpillantották csupasz lábaimat. A biztonsági őrök is teljesen megzavarodtak. Néhány arab országban pedig megkértek, hogy az oklevél átadásakor ne fogjak kezet a nőkkel. Először furcsa volt, de aztán hozzászoktam.
Mit visztek magatokkal egy útra? Mi az, ami ilyen utazá sokkor nélkülözhetetlen mind a magánélethez, mind az előadás szakmai részéhez?
P. Nóra: Jana nagy bőröndjének a háromnegyede a kurzus kellékeivel van megpakolva. A szervezőknek az ajándéko kat én szerzem be és viszem is.
Jana: Kamerát, állványt, laptopot mindig én viszem. E téren nem lehet hiba.
P. Nóra: Most legtöbb helyre a gyurmát is vinnünk kell, ezt a lengyel gyurmát, amit mi használunk, nem mindenhol le het megvenni.
Jana: Néha viszünk edzőcuccot, ha olyan szállodába me gyünk...bár csak elvétve használjuk.
Mik a nehézségei egy adott utazásnak, hogyan zajlik a kommunikáció?
P. Nóra: A covid óta az utazás kicsit macerásabb lett. Majd nem minden országnak ki kell tölteni egy online formulát, ami egészségügyi jellegű és országonként változó részle tességű. A vízum intézése sem mindig egyszerű, főleg ha nem a szervezőnek jut ez a feladat, hanem nekem.
Jana: Brazíliába és Indiába igazán problémás volt a kijutás. Ez egy stresszes dolog és az összes ilyen stressz is mind Nórán van.
Hányszor tartotok egy évben itthon kurzust? Mikor lesz a legközelebb? Mennyiben más egy hazai kurzust meg szervezni, mint egy külföldit? Gondolom, itt jóval hama rabb, akár órák alatt be is telnek a helyek.
Jana: Idén januárban tartottunk egy hatnapos maratont. (Három nap őrlő és három nap front morfológia.) Ez volt az első, hogy január első hetére szerveztük, mivel akkor még nem nagyon dolgoznak sem az orvosok, sem a tech nikusok. Ez jó ötletnek bizonyult és el is határoztuk, hogy ebből hagyományt teremtünk. Tehát hazánkban ettől kezdve mindig egy kurzust tartunk évente és azt ebben az időpontban. A 2023-as hazai kurzusra sok hely már most elfogyott, így aki szeretne részt venni rajta, mindenképp időben keresse Nórát!
Nagyon élvezem az itthoni oktatást is. Több szemléltető mo dellt, könyvet… stb. tudok bevinni a tanfolyamra, melyeket repülővel, külföldre, a súlykorlátozás miatt nem vihetek el.
Az életviteletekbe hogyan illeszkedik ez a sok utazás?
Hogyan bírjátok fizikailag mindezt?
Jana: Ez az utazós életforma nagyon klassz dolog, még akkor is, ha a repülőtereken való sorban állás, várakozás,
A webináros akcióink is vidámságban teltek.
pakolás, átvizsgálás nem a legkellemesebb időtöltés…De ennél nagyobb problémánk soha ne legyen! Könnyen hoz zászoktam, hogy kb. az életem egyik felében külföldön tar tózkodom, a másikban meg itthon. Viccesen szoktam mon dani, hogy repülővel járok dolgozni és szállodában lakom.
P. Nóra: Csak azt tudom ismételni, hogy imádom ezt csi nálni, emiatt minden kellemetlenséget vállalok, hiszen minden munkában van olyan, amit nem annyira szeret az ember. Ami két éve megváltozott, az az, hogy lett egy négylábú társam. Az ő elhelyezéséről kell minden utazás alkalmával gondoskodnom.
Mi volt a pandémia alatt? Hogyan zajlottak az online felkészülések?
Jana: Online képzéssel engem már a pandémia előtt is felke restek, de mindig nemet mondtam, mivel idegen volt tőlem, hogy nem találkozom személyesen a résztvevőkkel és így a hatásfoka is jóval gyengébb a normál kurzusaimhoz képest. Viszont a covid időszakban más lehetőség nem volt. Egy új kihívásként és lehetőségként tekintettem a helyzetre.
P. Nóra: És lett is pozitív hozadéka.
Jana: Érdekes, hogy tényleg lett hozadéka, mert kitaláltam új módszereket, amiket később beépítettem a normál kép zéseimbe is. Reklámnak is jó volt és technikai fejlődést is hozott.
Van-e érdekes, izgalmas történetetek? Volt-e veszé lyes?
P. Nóra: Az utazás eleve veszélyes üzem, de eddig megúsz tuk különösebb veszélyhelyzet nélkül. Néha a gépet do bálja a turbulencia, de Jana nyugodtan alszik. Viszont mindent félretéve, olyan energiát tud egy-egy csoport adni, hogy nincs az a fáradtság, stressz és veszé lyes helyzet, ami eltántoríthatna minket.
Jana: Tökéletes végszó!
A 10 éves Alpha Implant Kft. a hagyományos munkafolyamatok mellett a digitális workflow minden lépésére megoldást kínál. A digitális technika fejlődése a fogászati piacon is egyre nagyobb teret hódít. Ebben nyújt
segítséget a 6 lépésből álló Alpha Digital Workflow, amely az intraorál scanneléstől a kész fogmű behelyezéséig terjed. Ne zárja magát keretek közé, lépjen az Alpha Implant Kft.-vel a Digitális Szabadság Világába!
IMPLANTÁTUM IRÁNYÍTOTT SEBÉSZET
Velünk nyaralt a reményÚj tanulmány szerint a nanorészecskék használata hatékonyabb módszer lehet a fogfehérítésre
ciklusban, most finomhangolás jövő szereposztásáról is:
végrehajtás
poszton Jenei Zoltánnal
országos
tölti be hivatalt. Bemutatkozásakor azt jelezte az államtitkár: nyár közepéig elké szítik „stratégiai anyagaikat”,
olyan megoldási javaslat ke rülhet kormány elé, amit támo gatnak szakmai szervezetek is. Így minden érdekelt
beszámoltak, azt sugall sza szén kompozitja jobb fehérítési láltak nyilvánvaló toxicitást. Egy ha nm-es diódalézerrel aktiválva egy amely titán-dioxid nanorészecské ket tartalmazott, ugyanolyan mér tékű fehérítést biztosított, mint egy 35%-os hidrogén-peroxid-oldat.
friss ágazati egyik első megszólalásakor azzal vigasztalta, hogy az egészségügy érdekérvé nyesítő képességét nem az önálló minisztérium erősíti, hanem a mi niszter személye. bilitás érzetét erősítheti, mivel őt „igen közelről”, az Országos Kórházi Főigazgatóság (OKFŐ) főigazga tó-helyettesi székéből vette maga kozásakor pedig azt hangsúlyozta: egészségügyben. Az első nagy lé
(MOK) azonban semmit sem bízott a vélet lenre. Amint felállt a kormány, egy 8 oldalas levélben részletezték bel ügyminiszter számára, hogy miben problémáit. Látleletükben egyebek utak szétzilálódtak, várakozási idők ellátások közel elérhetetlenné váltak, berhiány. Összességében úgy látják,
hosszú, sem rövid távon nem tart szorgalmazták ajánlották hozzá a helyzet javítására egy, a 2011-es részletességű programot alkossanak. Az ellátási problémák nagyságának érzékeltetésére Kiss Zsolt Nem zeti Egészségbiztosítási Alapkezelő (NEAK) főigazgatója szolgált egé szen meghökkentő adatokkal jú nius elején. E szerint idén, az első negyedévben a kórházak közel ne gyedével, szakrendelők ötödével kevesebb beteget láttak el, mint a járvány előtti utolsó év megfelelő időszakában. A krónikus osztályok teljesítménye pedig korábbinak Mindez arra utal, hogy sok páciens be sem jut az ellátórendszerbe, kórházszövetség kongresszusának ma 19-31 százalékkal kapnak több indokolna.
3. oldal
Szeptember első napjaiban megkezdődött az oktatás a képző intézményekben. A 13. évfolyamon ún. ágazati alapoktatással indult a tanév, mint minden más szakmában a jelen szakképzési rend szerben. Az Egészségügyi Technika Ágazati Készségta nács (továbbiakban ÁKT) szakértőinek javaslata alapján az ágazati alapképzés nem terjed ki a teljes első félévre, hanem szeptember-október hónapban szervezhető és így nem csökkenti jelentősen a tényleges szakmai képzés ide jét. Novemberben kell megszervezni a képzést lezáró ún. ágazati alapvizsgát és ezután lehet megkötni a Szakkép zési munkaszerződéseket a duális partnerekkel, vagyis a fogtechnikusokkal.
Szeretnénk felhívni a figyelmet arra, hogy a portfólió készítését el kell kezdeni a tanév második félévében.
A portfólió nemcsak a hároméves tanulmányok képes és szöveges prezentációja, hanem az állásinter júknak is alapdokumentuma. A Fog technikus Programtanterv pontos leírást ad a készítéssel kapcsolatban, ezeket mindenképpen figyelembe kell venni.
Javasoljuk, hogy a portfólió készítésé vel kapcsolatban a képző intézmények tartsanak felkészítő órákat az egységes szerkezetre, megjelenítésre, tartalomra, terjedelemre stb. vonatkozólag. A szak mai vizsga tapasztalatok szerint, ha ez a felkészítés megtörténik, akkor nagyon értékes prezentációk készülhetnek, az általánosan elfogadott 30-40 oldal ter jedelemben. A portfóliók kezelésénél, ér tékelésénél a GDPR szabályokat be kell tartani.
A 13. évfolyam II. félévétől kezdve feltét lenül szükséges a félévi és év végi elmé leti és gyakorlati vizsgák megszervezése vizsgabizottságok jelenlétében, a fel
adatok értékelése, a felkészítés-felkészülés támogatása érdekében. Pontosan le lehet mérni, hogy a programtan terv alapján hol tart a tanuló az ismeretelsajátítási folya matban, segíti a duális képzésben résztvevő fogtechnikus munkáját is, aki a szakmai értékelés alapján, annak figye lembe vételével folytathatja a közös munkát. A vizsgafel adatokat úgy kell összeállítani, hogy a szakmai vizsga 1-1 ún. projektfeladatát (gyakorlati feladatát) mérni lehessen, így lassan kialakul a vizsgarutin, tapasztalatot szereznek a tanulók az egyes feladatok vizsgán történő elkészítésé ről és a szakmai vizsgára már nem lesz olyan fogpótlás, amit vizsgakörülmények között nem készítettek volna el. Ez biztosítja többek között a nyugodt szakmai vizsga elő készítését, lebonyolítását, értékelését. Októberben a Magyar Kereskedelmi és Iparkamarában, ki bővített ÁKT megbeszélésen ismét megrendezésre került a képző intézmények találkozója. Ez a rendszer nagyon jól működik, eredményes és értékes program. A képző intéz mények minden esetben igénylik és várják ezeket az ösz szejöveteleket. A találkozónak egyik aktualitása volt, hogy folyik a 2019-ben megjelent Képzési és Kimeneti Követel mények (KKK) fejlesztése, amihez a tapasztalatok alapján az ÁKT javaslatokat vár. Szintén folyamatban lévő munka az ÁKT szakértők részvételével az ágazat szakképzés mo nitorozása. A következő tanévben is ugyanolyan eredményes, intenzív, élő, jó hangulatú, tartalmas szakmai együttműködést kí vánunk támogatni az ÁKT-val, mint a korábbi években.
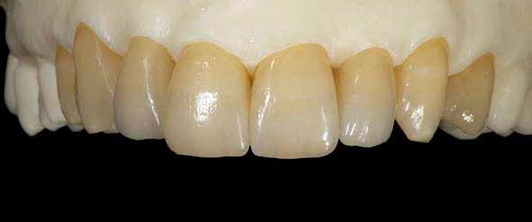
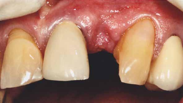
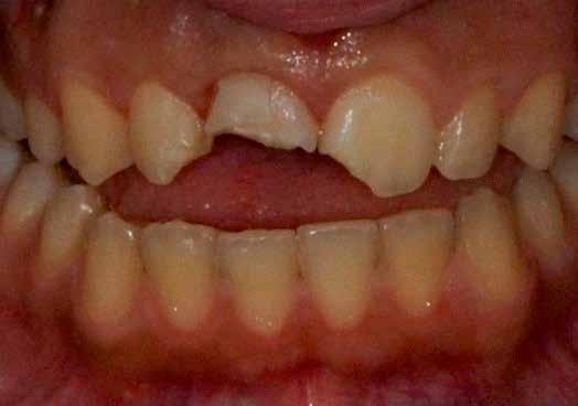
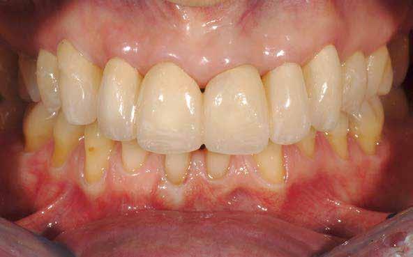
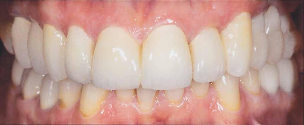
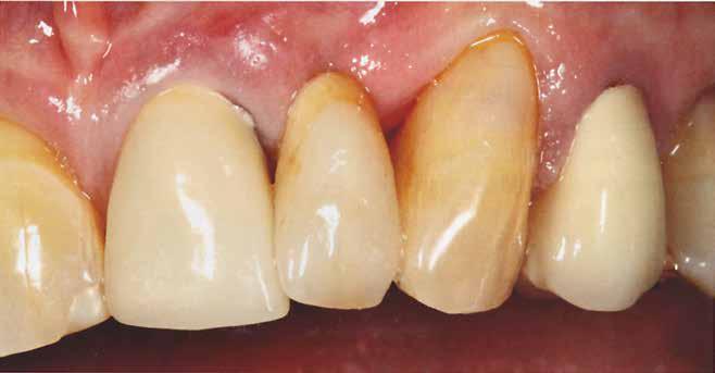
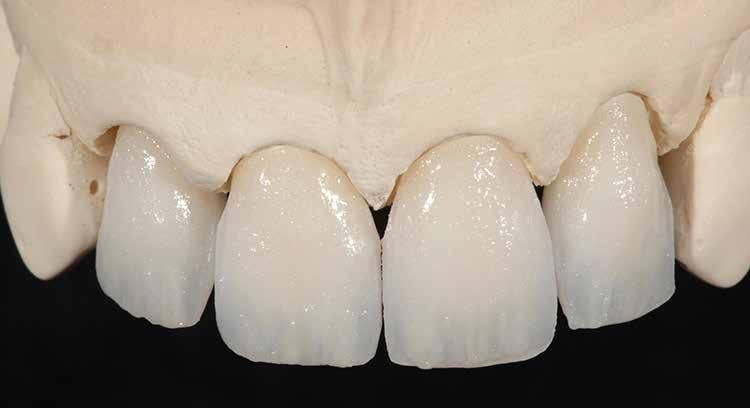
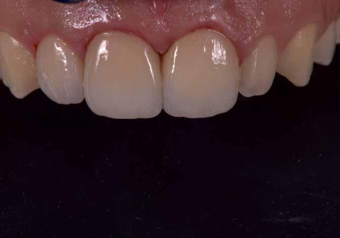
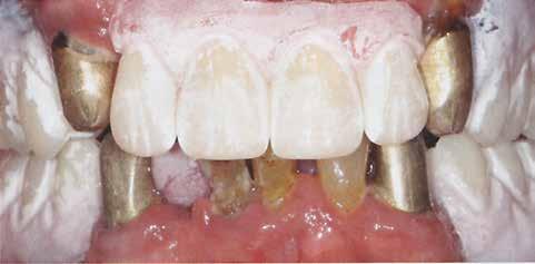
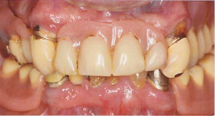
A felső frontfogak állapota elhanyagolt, a parodontális struktúrák részben erősen károsodottak, VMK korona az 12 zónában, az ínyszél szürke, fekete approximális három szögek…vörös-fehér esztétikáról nem is beszélhetünk (1. kép). Így jelentkezett a hölgypáciens a Weston Dental Specialists Group rendelőben. Elvárásai magasak voltak. A defektusok kezelését, a gingiva lefutásának korrigálását kívánta. Gyorsan világossá vált, hogy a megoldást csak a négy frontfog teljes kerámiakoronával való ellátása je lentheti.
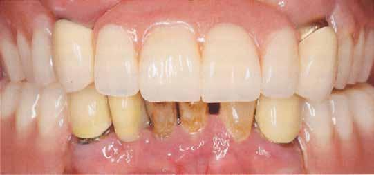
A páciens aggodalmas volt, hogy ne kapjon túl nagy és szögletes koronákat. A vele folytatott megbeszélések során viaszmintázat, majd annak alapján kulcs készült a Mock-
up-hoz. Ennek segítségével az újonnan készülő pótlás for máját közösen, egyértelműen határozhattuk meg (2. kép)
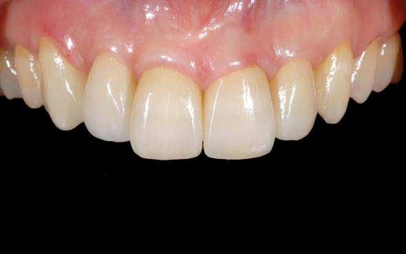
A koronákat IPS e.max ZirCAD Prime (Ivoclar Vivadent) anyagból martuk ki. E cirkónium-dioxid korongok előállí tása Gradient Technology (GT) segítségével történik, az alapanyag egyidejűleg nagy szilárdságú és transzlucens is. Ez több szempontból előnyös: először is adott a jó sta bilitás – a biaxális hajlítószilárdság 1200 Mpa, a törési szi lárdság nagyobb 5 Mpa m1/2-nál. Ezzel hosszú élettartamú koronák és nagy fesztávolságú hidak készítésére is alkal mas. Ugyanakkor a kerámia teljesen fokozatmentes szí nátmenettel és nagyfokú transzlucenciával is rendelkezik, így bevethető a magas esztétikájú frontpótlások területén is. A megoldandó esettől függően tel jes, részben vagy egészen leplezett formában is alkalmazható, akár egy pótláson belül kombinálva. Ezáltal az IPS e.max ZirCAD Prime valóban „One-Disc-Solution” (egy korong min denre megoldás – a ford.), amelynek előnyeit maximálisan kihasználhat juk minden páciens számára. Ebben az esetben enyhén redukált korona vázakat alakítottunk ki, amelyet az IPS e.max ZirCAD Colouring Liquids, az IPS e.max Ceram leplezőrendsze re, valamint festék- és glazúrkészle te segítségével egészítettünk ki (3–7. képek)
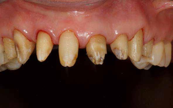
A fogforma mellett a szín a páciens számára legfontosabb kritérium a szép fogak megjelenítéséhez. Az egészséges fogazatban a felső nagymetszők tetszenek a legvi lágosabbnak. A bemutatott eset ben a hölgy nagymetszői mégis sötétnek, foltosnak látszottak. A természetes fogaknál egy koro nán belül is különböző világossági értékek mutatkoznak. Ennek oka a zománcvastagság változása cer vikáltól incizál felé. A dentin, amely erőteljesebb színtelítettségű, mint a zománc, változó erősséggel tűnik át a háttérből, és tipikus karaktert kölcsönöz a fognak. Az 12-es fogon látható VMK korona (fémkerámia – a ford.) nem felelt meg ezeknek a követelményeknek, és élettelen testként tűnt fel a front megjelené sében. A 8. kép az IPS e.max ZirCAD
Prime koronák próbájánál készült. Jól látható, hogy a folyamatos szín- és transzlucencia átmenet ideálisan imitálja a természetes fogakét, és plasztikus benyomást kelt. Az egyedi jellegzetességek, mint a mamelonok, és a kiemelt zománcrepedések élettelibbé te szik a koronákat.
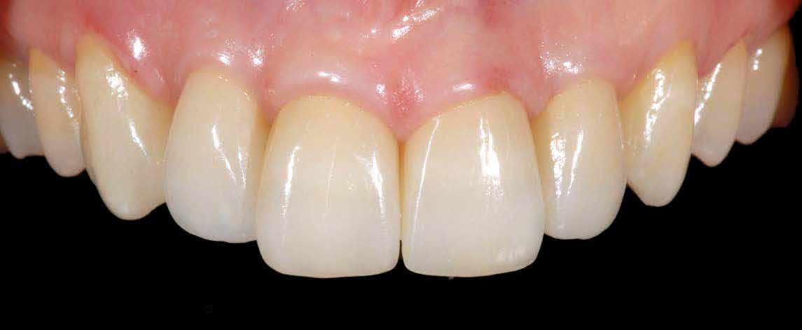
A gingiva kontúr lefutása szintén fontos az esztétikus megjelenés szempontjából. A teljesen szim metrikus restaurációk általában természetellenesen hatnak, az árkádok itt látható enyhe aszim metriája természetes hatást kel tett. Az egyébként ideális tipikus formájú koronák esztétikailag optimális gingivakialakítást hoz nak létre, a VMK korona kicseré lése egyenletes fénytovábbítást tett lehetővé a papilláktól a koro na felé. és fordítva is. Míg a próba során még minimális sötét ap proximális háromszögek láthatók voltak, a végleges beragasztásra (Variolink Esthetic, Ivoclar Vi vadent) már eltűntek (9. kép). A gingiva tökéletesen hozzásimult az IPS e.max ZirCAD Prime resta urációhoz.
Anyagválasztásunk újra tö kéletesnek bizonyult. Kiemel kedő természetes hatása folytán akár leplezetlen IPS e.max ZirCAD Prime anyaggal is nagyon jó esztétikai hatású monolit restaurációk készít hetők. Itt az optimális alapot képezte, hogy leplező- és festékanyagainkkal elérhes sük a kívánt hatást: hibát lan mosolyt és természetes szépséget. A páciens nagyon elégedett a kezelés eredmé nyével – akárcsak mi magunk (10. kép)
Forrás: Das Dental Labor 2020/12
Olyan egyedi gingiva lefutású titán vagy cirkónium felépítmény, mely a koronális terület anatómiából vissza redukált részéből kerül kialakításra. Kiváló megoldás extrém ínymagasság, kornális magasság vagy akár szögelté rés esetén is!
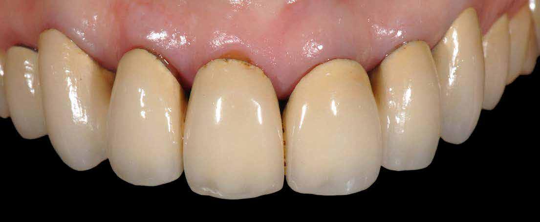
Jól sikerült ideiglenes segítségével könnyebben megmagyarázható és eladható a végleges munka a páciensnek. Szerzőnk, Axel Seeger szerint a laborban készülő provizórium elengedhetetlen a sikeres esztétikához. Páciens eseten keresztül mutatja be, hogyan nemesíti ehhez a műanyagot.
Hölgypáciens érkezett a rendelőbe, „csak” a frontok, és egy, implantátummal megoldott kisőrlő pótlásának igé nyével. Újra szép megjelenésű frontfogakat óhajtott (1. kép). Miután láttam a pácienst, és analizáltam a helyzetet, sajnos közölnöm kellett a hölggyel, hogy nem csak a fron tot kell megcsinálnunk, hanem a teljes felső fogsort újjá kell formálnunk. Csak így lehetséges harmonikus összkép kialakítása.
Ahhoz, hogy a lépés szükségességéről meggyőzhessük a pácienst, mindig nagy segítség a laboratóriumban készí tett ideiglenes pótlás. Ebben az esetben – a páciens hölgy, aki a nyilvánosságban szerepel – meg kellett emelni a ha rapást. A jó laboratóriumi ideiglenes tehát elengedhetet len volt. Csak így tudta a hölgy üzleti mindennapjait eszté tikai hiány elszenvedése nélkül tovább élni. A valóban jó esztétikájú ideiglenes készítése megfelelő anyagok kiválasztását feltételezi (2. kép). Ehhez külön böző kedvenceim vannak, amelyeket először gyakorló munkákon próbálok ki. Csak így tudok érdemben döntést hozni, mely anyagok mely munkákhoz alkalmazhatók si keresen. „Színes virágcsokor” áll rendelkezésemre (3–10.
képek). Mint ahogy azt az októberi szám 90. oldalától be mutattam, a teljes viaszmintázat (wax-up) fontos szere pet játszik. Számomra ez az építészet, és a rekonstrukció terve is (10. a kép)
A viaszmintázatot dupla szkenneléssel, CAD/CAM techno lógiával műanyaggá „változtatjuk”. Passzítás és kidolgo zás után (11–13. képek) következik a finomhangolás a GC festékeivel. A teljes festékkészlet (14–15. képek) alkalmaz ható műanyag leplezésekhez és ideiglenesekhez is. Fontos szerepet játszik a GC fénypolimerizációs készüléke, amely tökéletesen illeszkedik az Optiglase anyag tulajdon ságaihoz (16. kép). Ezzel korrekten elvégezhető a polimeri záció, és nem várható plakk-lerakódás. Decens karakterizálásra van szükség, itt is érvényes a „kevesebb – több” szabálya (17. kép). A provizórium segít ségével könnyen elmagyarázható, miért szükséges jelen esetben is a nagyobb mértékű szanálás (18–21. képek). Ha nem rakjuk be a provizóriumot, sötét zóna keletkezik. Ez jól látható a 20.a képen – ami szintén érvet szolgáltat a további restaurációs lépésekhez.
A jó terv készítése viaszból, illetve ennek műanyag ideig lenesként történő megvalósítása „kötelező” a nagy értékű frontfogellátások készítése során.
2. kép: A2 csak frézelve és lakkozva.
1. kép: A páciens eset kiindulási helyzete.
4. kép: Egyedi kialakítású koronák.
3. kép: Organical CAD/CAM PMMA korong
5.
7.
8.
18–20 képek: A provizórium in situ.
20. a kép: A provizórium hiánya sötét zónát okoz.
21. kép: Az ideiglenes behelyezve.
Forrás: Das Dental Labor 2020/11
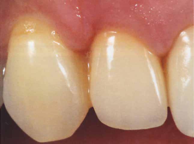
Már az első próbánál megfigyelhető volt a páciens lelkesedése, A fog keményszövetének megfelelő kondicionálása, ill. a héjak kompozittal teljes adhezív módon rögzítettük. A korlátozott helyviszonyok kitűnő fénydinamika és remek
lelkesedése, így a végső beillesztéshez kofferdámot helyeztünk el. héjak fluorsavas maratása és szilanizálás után a veneert rögzítő helyviszonyok ellenére a VITA LUMEX AC kerámiából készített héjakat mélységi színhatás jellemezte.
2. kép: Mesterminta készítése.
3. kép: A mesterminta alapján ki lehetett alakítani a tűzálló csonkokat.
4. kép: Az elkészült mesterminta készen áll a veneer előállítására.
8. kép: Kiegyensúlyozott kromacitás és transzlucencia.
9. kép: A fogív kialakítása az esztétikai sza bályoknak megfelelően történt.
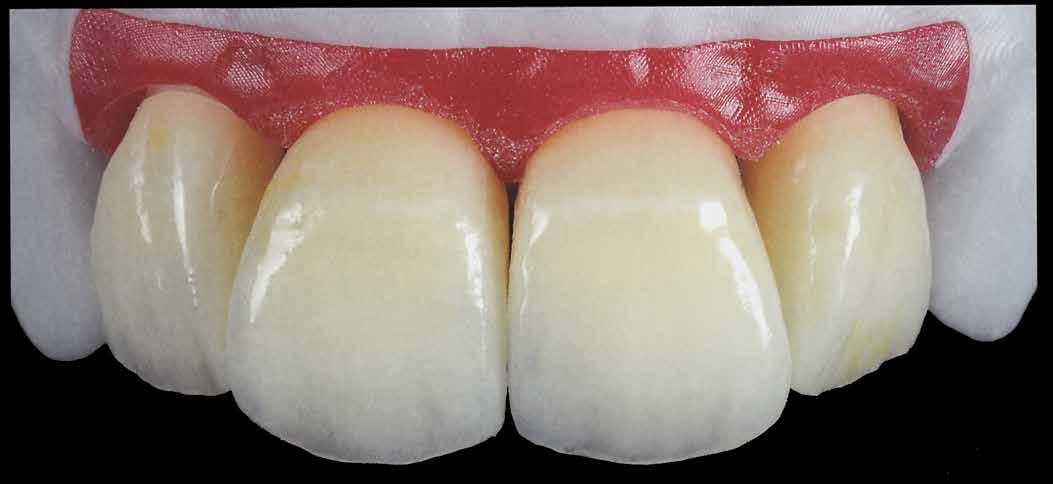
A héjakkal végzett kozmetikai rekonstrukcióknál kiemel ten fontos, hogy a foganyag minél nagyobb részét meg tartsuk. A pácienseket ilyen esetben gyakran tökéletesen egyedi, kézzel rétegezett héjakkal látjuk el. A fogtechni kus számára ilyenkor a természetes szín- és fényhatás precíz helyreállítása jelenti az igazi kihívást, miközben limitált a rendelkezésre álló hely. Erre a célra erős fénye rejű leplezőkerámiára van szükség, mint amilyen pl. az új VITA LUMEX AC, amellyel csekély falvastagság esetén is remek fénydinamika érhető el. Fontos emellett, hogy az alkalmazott leplezőkerámia szakítószilárdsága is jó legyen, mert az ilyen finom rekonstrukciós munkánál ez teszi biztonságossá a manuális utómegmunkálást és a behelyezést. A következő esettanulmányban Marcio Bre da fogtechnikusmester és dr. Estefânia Donato fogorvos (mindketten: Vitória, Espírito Santo, Brazília) mutatják be, hogyan láttak el egy női pácienst VITA LUMEX AC (VITA Zahnfabrik, Bad Säckingen, Németország) leucit erősíté sű, üvegkerámia leplezőanyagból készült, kiemelkedően esztétikus, kézzel rétegezett héjakkal.
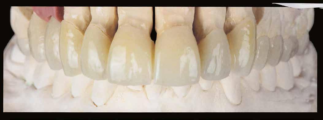
Egy 35 éves női páciens azzal kereste fel a fogorvosi ren delőt, hogy elégedetlen felső frontfogainak esztétikájá val. A klinikai vizsgálat során megmutatkozott a metsző élek szabálytalansága. A fogív és a gingiva formája nem volt harmonikus, és a hosszúság-szélesség aránya sem volt megfelelő. A korábbi defektusokat élettelen kom pozit tömésekkel kezelték, a 11-es és 21-es fog elszíne ződött. A páciens a fogív kiegyenlítésére, egységes fog színre és a felső frontfogak egyedi, életkornak megfele lő megjelenésére vágyott. A választás a VITA LUMEX AC leplezőkerámiából készült, egyedileg rétegezett héjakkal végzett fogpótlásra esett.
10. kép: Az ajakvonal és a metszőélek harmóniában állnak egymással.
Viaszmintázatot készítettünk, hogy a pácienssel átbeszél hessük az elérni kívánt állapotot. Kisebb módosítások után szilikonkulcsot készítettünk a viaszmintára, hogy folyásképes, ideiglenes kompozittal direkt mock-up-ot helyezzünk a száj ba. Az eredménnyel a páciens és a kezelőorvos egyaránt elé gedett volt. A felső frontrégióban helyi érzéstelenítést alkal maztunk, majd a VITA classical A1-D4 színkulcs segítségével kiválasztottuk az A1-es fogszínt. A 13-23-as fogak teljes koro nákhoz szükséges preparálása, a 11-es és 21-es fogak gingi vális rezekciója és az alsó-felső állkapcson végzett lenyomat vétel után, a szilikonkulcs segítségével direkt provizóriumot készítettünk a szájban. A laborban mestermintát készítettünk tűzálló csonkokkal, és artikuláltuk az ellenoldali állcsontot.
Először VITA LUMEX AC DENTINE A1 anyaggal helyreállítot tuk a meghatározott alapszínt, majd TRANSLUCENT smo ky-white színnel hangsúlyoztuk a centrális régiót. Az éli területeken TRANSLUCENT waterdrop felhordásával volt integrálható a kékes fényhatás. A mamelonok anatómiá ját MAMELON saffron segítségével tudtuk helyreállítani. Ezt követően került sor a hat veneer végső formájának kialakítására kékes-transzlucens ENAMEL light anyaggal, amivel a zománc szín- és fényhatása precízen rekonst ruálható. A kerámiát a rétegezés teljes folyamata alatt nagyon precízen lehetett mintázni, köszönhetően kitűnő stabilitásának, ami a kerámiarészecskék kitűnő mikrofo gazottságának tudható be. Kiégetés után az ostyavékony héjak alaktartása kitűnőnek bizonyult. A készrevitel finom gyémántcsiszolókkal, valamint polírozással történt, így forma, textúra és csillogás szempontjából teljesen termé szetes eredményt értünk el.
5.
Már az első próbánál megfigyelhető volt a páciens lelkesedése, így a végső beillesztéshez kofferdámot helyeztünk el. A fog keményszövetének megfelelő kon dicionálása, ill. a héjak fluorsavas maratása és szilani
zálás után a veneert rögzítő kompozittal teljes adhezív módon rögzítettük. A korlátozott helyviszonyok ellené re a VITA LUMEX AC kerámiából készített héjakat kitűnő fénydinamika és remek mélységi színhatás jellemezte.
Forrás: Dental Visionist 2.9, 2019
VITA LUMEX AC egy leucit erősítésű üvegkerámia leplező-rendszer, melynek innovatív anyagképlete színhű, élénk és megbízható ered ményeket biztosít
MIHEZ?
Használható az össze ismert fémmentes kerámiaváz (cirkónium-di oxid, lítium-diszilikát és földpát-kerámia) leplezésére, valamint váz mentes rekonstrukciók előállítására (pl. veneer)
VITA LUMEX AC elemei:
– GINGIVA, OPAQUE, OPAQUE DENTINE, DENTINE és ENAMEL masszák, valamint sokféle effektmassza (pl. OPAL TRANSLUCENT, FLUID INTENSE, és sok más).
– tökéletesen illeszkedő rendszerkomponensek, mint pl. ecsetek, kiégető tálcák, glazúrmassza, stb.
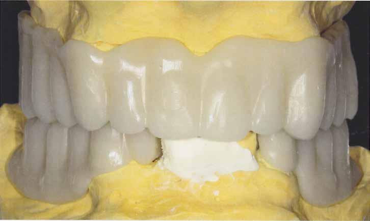
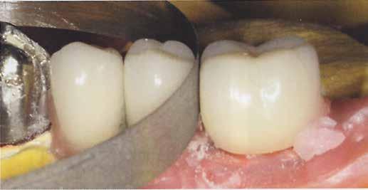
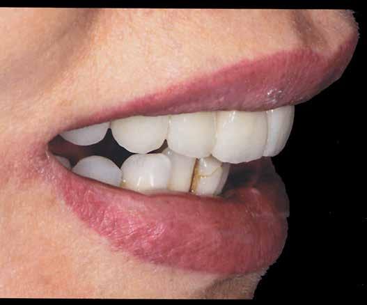
A ragasztott hidak gyakori alternatívái az implantátumoknak. Kedvezőtlen állcsontviszonyok vagy csekély csontkínálat esetén ez a technika kiváló a foghiány pótlására. A hosszú távú sikeresség érdekében azonban érdemes néhány szempontot kiemelni. Fogorvos-fogtechnikus szerzőcsapatunk lépésről lépésre haladva mutatja be, mitől függ a siker.
Eredetileg ezt a technikát a marylandi egyetemen találták ki és alkalmazták, Maryland híd elnevezéssel. A készítés módszere alapvetően nem nemesfém vázon kerámia lep lezésű köztes tagot jelentett, két, fém-szárny-szerű el horgonyzással.
Az eredeti véleményt, mely szerint a hidat legjobb két pil léren elhorgonyozni, gyakran megcáfolta egy ragasztott szárny leválása. Több mint tíz éve már ezért laboratóriu munkban csak „egyszárnyú” ragasztott hidakat készítünk. Előnyeik kézzelfoghatóak a „klasszikus” variációhoz képest:
• nincsenek mereven összefogva a pillérek, így megmarad az egyes támasztó elemek egyéni mozgásszabadsága
• a páciens javát szolgálja a preparálás következtében el vesztett kevesebb foganyag
• az egyszárnyú ragasztott híd tisztítása egyszerűbb, el lentétben a kétszárnyú variációval
Természetesen gyakran felmerül az ideális anyag kérdése. Mi a cirkónium-dioxid vázat ajánljuk, szokott módon ke rámiával leplezve. Számos stúdium és laboratóriumi pró ba igazolja e feltevés helyességét. A bemutatásra kerülő esettel szeretnénk demonstrálni, mire kell figyelni lépésről lépésre az említett technika alkalmazása során. A 80 éves páciens 22-es fogának hiányát szerette volna megoldatni a rendelőben. Az implantációt költségessége mi att nem tudta vállalni. A 21-es fog már koronával volt ellátva, és kategórikusan elutasította ennek lengőtagos híddal való lecserélését, így egyértelmű volt a 23-as fogon való rögzítés
szükségessége. Az egyszárnyú ra gasztott híd mellett döntöttünk (1. a kép)
Mivel a szemfogak általában na gyon közel vannak az antagonis tához, kettes pótlására a szárnyat inkább a nagymetszőre szoktuk tervezni. Ehhez persze invazív preparációra van szükség – érin tetlen fogak esetén ez lehetőleg kerülendő.
A bemutatott esetben azonban könnyen döntöttünk, mivel a szem fog disztális részén nagy tömés
volt. A defektust bevontuk az eset megoldásába.
A preparálást követően Provil-lal vettünk lenyomatot.
A laboratóriumban szekciós minta készült, blokk-stiftekkel (1. kép) , amelynek készítése so rán nagy figyelmet szenteltünk az ínymaszk (Majesthetik- Gin giimplant picodent) és a felfek vő lengőtag területének (2–6. képek)
A minta beolvasása után számító géppel terveztük meg a híd vázát (7. kép). 0,06 mm-es cementrést terveztünk a teljes karfelület alá, 1
mm-re végződve a preparáció szé létől (8–11. képek)
Így egyenlítettük ki a kötésjavító vastagságát, sikeresen. Az adato kat elküldtük az AHRtec-frézköz pontba, néhány nap múlva visz szakaptuk a cirkonvázat (12. kép). A marási paraméterek optimális be tartása következtében a passzítás egyszerű volt (13. kép).
Most következett a legfontosabb lépés: a szárny belső felületét Hot-Bond-dal fújtuk le (14. kép)
Ez üvegszerű, savazható kerámia,
amely beszívódik a cirkonba, és optimá lis kötést eredmé nyez a pillérfogon.
A leszórt felszínnek porszerűnek kell len nie. A széli fölösle geket az infiltrációs égetés előtt el kell távolítani, különben pontatlan lesz az il leszkedés (16. kép)
Az égetést a gyár tó ajánlása szerint végeztük (17–18. ké pek)
Az égetési hőmér séklettől függően meg kell bizonyo sodnunk arról, hogy megfelelő mennyiségű anyagot hord tunk fel. A kerámiarétegzés után már nem lehet újólag fel hordani Hot Bond-ot, a magas hőmérséklet miatt.
starthőmérséklet 450 °C szárítás 2 perc égetési hőfok 1000 °C emelkedés 60 °C/perc hőntartás 1 perc vakuum be 450 °C vakuum ki 999 °C
kében a Liner-t be szórtuk vállmasz szával (21. kép)
Az égetést követően a köztes tag kiala kítása volt soron. A gerinc gravírozását a kezelőorvossal történt egyeztetés szerint kell elvégez ni (22. kép)
A bazális felüle tet vállmasszával egészítettük ki, amelyet a picodent Majesthetic Divi folyadékkal izo láltunk a mintától (23–25. képek)
A vállmassza ége tése után a leplezést a szokott módon végeztük a kettesen (26–28. képek). Most következett az ún. „présnyomó” készítése
A munkával együtt egy pozicionáló sínt is le szállítunk, amelyet a mintán készítettünk (30–32. képek)
Az illeszkedési pon tosságot ellenőrző próbát követően a szárny ragasztási fel színét homokfújtuk, folysavval savaztuk, és Monobond-dal szi lanizáltuk.
Ezzel egy időben a fo gon lévő ragasztási felszínt is kondicionál ták az adhezív ragasz tás előírásai szerint.
Ezt követte a felület aluoxidos lefújása, foszforsavas maratása és a Syntac-Classic fel hordása (33–35. képek)
Ezt követően felhe lyezték a labor készí tette prés-nyomót, és kb. öt percig kompri málták vele a gingivát (36–37. képek) Ez még lehetséges volt, mert az eszközt úgy készítettük el, hogy nem érintette a preparált, előkészített felszínt. Ha túl csekély a gingivára gyakorolt nyomás, az eszköz baz álisan flow kompozittal kiegészíthető (38. kép). Természetesen ebben az esetben a hídtagot is ki kell egészíteni kerá miával. A szárny ragasz tási felszínét folyékony műanyaggal fedtük, és a preparált, kondicio nált felszínre nyomtuk (39–40. képek)
Mivel a prés-eszközzel összenyomtuk a gingivát, a hidat kü lönösebb nyomás nélkül a helyére lehetett illeszteni, és a po zicionálóval a helyén is volt tartható. A szárnyat a palatinális felszínen gyémántozott csipesszel pozicionáltuk és fixáltuk a fogon.
Végül nagy teljesítményű lámpával megkeményítettük a kompozitot. A ragasztó maradványait eltávolítottuk. A végeredmény – a 22 fog tökéletesen, harmonikusan illesz kedik a maradék fogazatba (41. kép). A páciens, ajánlásunk ellenére, sajnos nem kívánta felújíttatni a két szomszédos
koronáját. Ez – tekintetbe véve magas életkorát, és a gyó gyászati indokolatlanságot, érthető volt. A páciens redu kált esztétikai igénye azonban nem vezethet ahhoz, hogy ne a tökéletesre törekedjünk, a természeteshez illeszke désre, beolvadásra.
Végezetül részletfelvételek egy másik ragasztott hídról, amely hasonló módon készült, hat hónappal a behelyezés után (42–43. képek).
A hídtag enyhe mozgathatósága miatt az íny stimulálva volt. Ezzel a vérellátás további segítséget kapott, ami a lágyszövet kiváló adaptálódását hozta magával.
Forrás: Das Dental Labor 2020/12
FEDEZZE FEL A KÖVETKEZŐ LÉPÉSÉT A TÖBB RÉTEGŰ TÖMBÖK EVOLÚCIÓJÁNAK
”KATANA™ Zirconia” YML új cirkónia tömb innovatív alapanyag kombinációja mely ötvözi a magas áttetszőséget és emelett magas erősségű, előrelépés lesz laborod számára.
”KATANA™ Zirconia” YML elhozza Laborja számára a hatékonyságot, tisztaságot, egyszerűséget és könnyű kezelhetőséget anélkül, hogy a minőséggel meg kellene alkudnia. Forgalmazza:
New York Dental Kft. H-1135 Budapest, Frangepán utca 66/B. Tel.: +36 1 236 4000
www.newyorkdental.hu
A modern, fémmentes leplezőkerámiákkal szembeni elvárás, hogy megfeleljenek a mechanikai, esztétikai és felhasználási szempontok sokféleségének. Például lehetővé kellene tennie a fog színárnyalatának valósághű megjelenítését, a fény játékát, stabilnak kellene maradnia a felrakási folyamat alatt, és emellett garantálnia kellene a formatartó égetési eredményeket. Ráadásul elvárás az anyaggal szemben a fémmentes vázhoz való tökéletes tapadás, illetve héjak esetében a megfelelő stabilitás megőrzése hosszú távú klinikai munkák készítésénél.
Az új leplezőkerámia, a VITA LUMEX AC (VITA Zahnfabric, Bad Säckingen, Germany) kifejlesztése a nagyon aprólé kos anyagkutatásoknak és a széles körű elvárásoknak és igényeknek köszönhető. A következő beszélgetésben a fogászati anyag szakértő, Dr.-Ing. Berit Gödiker válaszol a VITA LUMEX AC-vel kapcsolatos kérdéseinkre az egyedi anyagkarakterisztika és a laboratóriumi vizsgálatok során szerzett ismeretek tekintetében.
A VITA LUMEX AC egy leucit erősítésű üvegkerámia leplezőrendszer. Mik az anyag egyedi tulajdonságai, és a laboratórium számára miben jelent előnyt a hasz nálata?
Az új leplezőkerámia használata során az üveg leucit-kristály tartalma biztosítja az optimális tapadást mind a cirkónium,
mind az üvegkerámia vázakon. Ezen felül ez a leucit összete vő hozzájárul a magas fokú szilárdsághoz, mely kiváló hosszú távú tartósságot biztosít a VITA LUMEX AC héjak esetében.
A tökéletes színazonosság központi feltétel, hogy a pótlás harmonikusan illeszkedjen a maradó fogazathoz. Mi lyen fokú színazonosságot mutat az új kerámia, és miért, tiszteletben tartva a fogszínre vonatkozó szabványo kat?
A VITA szabványaihoz mérve a VITA LUMEX AC nagyon magas fokú színazonosságot mutat. Egy nagyon pontos színképlet megalkotásához tapasztalatra, modern fogszínmérő techno lógiára és magasan képzett szakemberre van szükség. A VITA megalkotta a világszerte is használt fogszínekre vonatkozó szabványokat, lehetővé téve számunkra, hogy közel százéves
3. kép: (3 pontos hajlítószilárdság (MPa)) Hajlítószilárdsági tesz teken alapuló eredmény grafikon a fenti fémmentes leplezőke rámiákat vizsgálva.
Forrás: a VITA R&D belső vizsgálata alapján, 3 pontos hajlító szilárdság mérése ISO 6872 szerint a fent említett anyagokkal. Beszámoló 08/19, Dr.-Ing B. Gödike. Teszt riport, mely elérhető: www.vita-zahnfabrik.com/ lumex
tapasztalatra támaszkodjunk, és megismerkedjünk a fog színekre vonatkozó tételek eredeti formuláival. Ezen felül az egyes színminták szakemberek által végzett vizuális elemzése az anyagok és restaurációk esetében kulcsfontosságú siker tényező.
Annak érdekében, hogy vibrálóan élénk színeket érjünk el, olyan kerámiára van szükség, mely a legjobb fény dinamikát nyújtja. Mi jellemzi az új leplezőkerámiát a transzlucencia, opálesszencia és fluoreszcencia tekin tetében?
Az OPAQUE DENTIN, DENTIN, és ENAMEL anyagok fényát eresztő mértékei ideálisan passzolnak egymáshoz meg teremtve a kiváló fényjátékot. A kerámia egyedi opálos anyagait kifejezetten a különösen élénk opálesszencia el
4. a–b kép: Minta, egyszerűsített szemléltetése a VITA LUMEX AC kerámiaszemcsék méreteloszlásáról/mikrofogazásáról, egy másik fotó bemutató példa a rétegzési folyamat közbeni állapotról.
érésének érdekében fejlesztették ki. Ezen felül az összes alap-kerámia anyag, illetve a nagyszámú adalék effekt massza a természeteshez közelítő fluoreszcenciát mutat. A nagymértékű fluoreszcenciával rendelkező FLUO INTEN SE anyagokat a mélyről jövő fluoreszcencia célzott szabá lyozására tervezték.
Az enyhén nedves kerámiaanyag stabilitását éppannyira meghatározza az anyagszemcsék formája, felületi struktú rája, mint a porrészecske méretének eloszlása. A kerámia részecskéket úgy kellett megalkotni, hogy a felrakási (réteg zési) folyamat során ún. mikrofogazás alakuljon ki. Emiatt a VITA LUMEX AC kerámiarészecskéi szabálytalan alakúak és strukturált felületűek. Ezen felül a VITA LUMEX AC kerámiát úgy tervezték, hogy a finom szemcseméret, a közepes, illetve a durva egymáshoz viszonyított aránya ideális legyen.
A kerámia méretstabilitása az égetést követően egy má sik fontos sikertényező a laboratóriumok munkájában. Milyen stabilnak bizonyult az új kerámiaanyag a tanul mányai során?
5. kép: Égetési eredményeket bemutató fotódokumentáció teszt mintákon, a fent említett kerámiaanyagok esetében, számos égetést követően.
Forrás: a VITA R&D belső vizsgálata alapján Égetési stabilitás mérése 4 égetést követően a fenti kerámiaanyagokból készült teszt minták alapján.. Beszámoló 08/19, Dr.-Ing B. Gödiker. Teszt riport, mely elérhető: www.vita-zahnfabrik.com/ lumex.
A felrakási folyamat alatt fontos, hogy a kerámiaanyag megfelelő stabilitással rendelkezzen. Mik az anyag tech nikai követelményei a stabilitást illetően, és a VITA LU MEX AC mennyire teljesíti ezeket az elvárásokat?
A VITA LUMEX AC kerámiából készült próba mintákon szám talan tesztet végeztünk, és minden esetben magas fokú mé ret stabilitást mutattak, még ismételt égetéseket követően is. Például a teszt anyagokon szemmel látható volt, hogy az elhelyezett élek nem gömbölyödtek el. Ennek egyik oka, hogy a VITA LUMEX AC alkalmazásával a kerámiára jellemző anyag zsugorodás a nagy sűrűségű, homogén anyagszerkezet eredményeként jelentősen csökkent. Páciensek, fogorvosok, technikusok egyaránt olyan anyagokat keresnek, melyek hosszú távú tartósságot biztosítanak. Összehasonlítva más anyagokkal, milyen mechanikai tulajdonságokat mutat a VITA LUMEX AC? A VITA LUMEX AC hajlítószilárdsági mutatója több mint kétszeresen meghaladja a leplezőkerámiákra vonat kozó ISO szabvány értéket, ezzel kitűnő stabilitási tu lajdonságokat mutatott a laboratóriumi tesztek során. Ezen felül a vázhoz viszonyított kötési szilárdság is fon tos szerepet játszik. Mind a cirkónium vázon, mind az üveg kerámián elért kiváló tapadási értékek egyes ese tekben jelentősen meghaladták a versenytárs anyagok kötési értékeit.
Forrás: Dental Visionist 2.9, 2019
VITA Energy Efficiency – Gazdaság és ökológia harmóniában
A VITA Energy Efficiency a következő előnyöket kínálja a VITA kályhák legújabb generációjával:
• Csökkentse áramszámláit akár 70%-kal*
• Válassza a VITA fogászati kályhákhoz ajánlott tartós és energiahatékony anyagokat.
* a korábbi égető kályha modellekhez képest
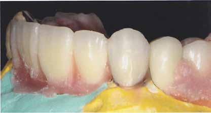
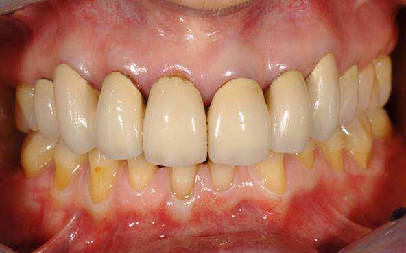
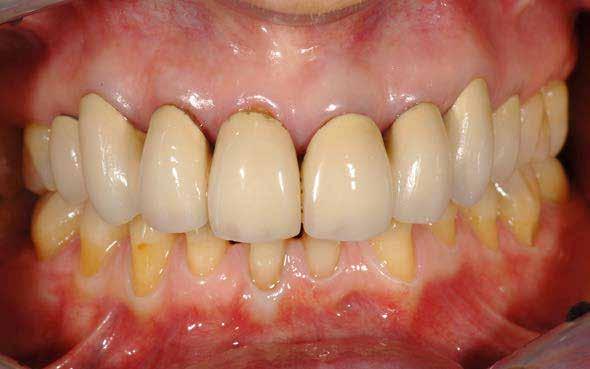
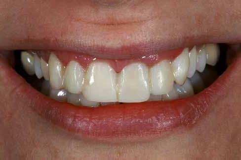
Egy nehéz eset ideiglenes ellátása digitálisan
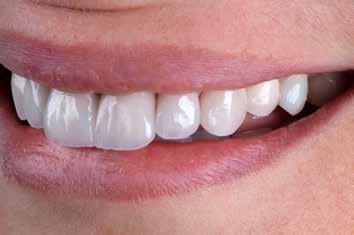
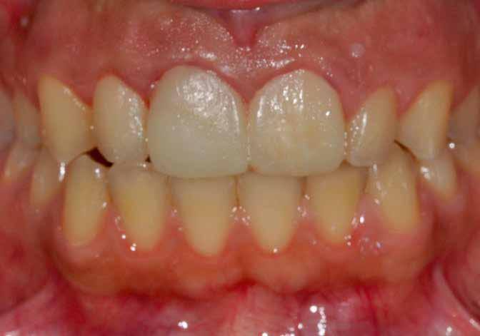
„Andrea" esete lenyűgöző példa arra, hogy egy fogászati team hogyan adhat új életet valakinek. Digitális ideiglenes fogsor készítésével a fiatal páciensnél komoly életminőségjavulást értek el.
A cikkben egy fiatal nő kezelésének interdiszciplináris meg közelítését foglaltuk össze, aki fogászati állapota miatt hosszú ideje szenvedett fizikálisan és pszichésen is (1. áb ra)
Az ilyen esetek megoldásához elengedhetetlenek - a fogá szati és fogtechnikai know-how mellett - a jól bevált kom munikációs gyakorlat a praxis és a laboratórium között, valamint a gyártási technológiák összehangolása. A vég eredményhez az ideiglenes megoldáson keresztül vezetett az út, mely „normális” funkcionális és esztétikai helyzetet tett lehetővé.
Amikor a 25 éves Andrea először konzultált a rendelővel, már több éve küszködött súlyos panaszokkal. Állapota két különböző betegségnek köszönhető, melyek egyrészt önmagukban, másrészt egymással kölcsönhatásban is súlyos következményekkel jártak. A fiatal nő veleszületett genetikai elváltozásban szenved, melynek tünete töb bek között a gyenge zománcfejlődés. Továbbá a beteget fibromyalgiával is diagnosztizálták, mely krónikus fájda lom rendellenesség, ami komoly tünetegyüttessel járó pszichés szorongás. A betegség egyik következménye az volt, hogy a páciens az elmúlt években átlagosan napi há
rom-négyszer hányt. Az ebből fakadó savas erózió a már amúgy is veszélyben lévő fogazatot tovább roncsolta (2. ábra).
A páciens elviselhetetlen fájdalmakról számolt be, be leértve a többszörös szájüregi fertőzéseket is. Az elmúlt években az előírt számos antibiotikumos kezelés egyre gyengébb hatásfokkal működött. A fertőzések következ tében több fogát is extrahálni kellett. A fogászati álla potával együtt az étkezés minősége is romlott. A súlyos esztétikai korlátok is terhet jelentettek. A psziché és az önbizalom komoly károkat szenvedett. Fogorvosnál tett korábbi látogatásai kellemetlen élményt jelentettek. Emiatt kezdetben vonakodott beleegyezni a komplex te rápiába. Empatikus, érzékeny beszélgetések folyamán körvonalazódott számára a kezelés fontossága.
Sok konzultáció után definiáltuk az első kezelési célt: a nem megtartható fogak extrahálása és köztes helyre állítás ideiglenes fogsorral. A második kezelési fázisban
implantátumok behelyezésére került sor. Elsősorban az életminőség javítása állt a középpontban. A páciens lehe tőség szerinti komfortos kezelési menete és magas kiszá míthatóság biztosítása a team számára, vezetett a digitá lis fogászati megoldáshoz. Mivel a páciens egy pillanatig sem szeretett volna fogak nélkül maradni, az ideiglenes fogsornak már rendelkezésre kellett állnia a rendelőben az extrahálás időpontjára.
A felső és az alsó állkapocsról történt szituációs lenyoma tokat kiöntötték, a laboratóriumi szkennerrel digitalizálták (3Shape), és az adatokat a Digital Denture szoftverbe im portálták. A szoftver SR IvoBase® CAD és SR Vivodent® CAD Multi kombinációjával - fogszínű korongokkal - lehetővé teszi digitális protézisek automatizált gyártását.
Az ideiglenes fogsor elkészítéséhez a még meglévő foga kat törölni kellett a virtuális modellről (3. ábra). Ehhez a szoftver megfelelő eszközöket biztosít. A modellanalízis közben a szoftver lépésről lépésre vezet minket. Az anató miai jellemzőket megjelöljük és a fogsor kiterjesztésének
paramétereit rögzítjük (4. ábra). Az állkapocsviszony meg határozása alapján a függőlegest 5,5 mm-rel megemeltük (5. a ábra). A Digital Denture Full Arch könyvtár segítségé vel megtörtént a megfelelő fogforma kiválasztása (Pho nares® II B71-L50-N3) (5. b ábra)
A szoftver automatikusan előállított egy fogfelállítási mintát (6. ábra). Szükség esetén ezt individualizálhatjuk. Az alapvető paraméterek (foghossz, középvonal, harapási sík stb.) ellenőrzése után a programban „finomhangolunk", kiigazítjuk az apró részleteket és végül virtuális finírozást hajtunk végre az alaplapon és az ínykontúrokon. Mindezek elvégzéséhez a szoftvernek van eszköztára, amivel pél dául az anyagra felvihető még több, eltávolítható belőle, illetve simítható.
Miután elmentettük a CAD-konstrukciót, a szoftver CAM-ki menetet generál a fogív és protézisalaplap kimarásához. A fogív frézelése sűrű hálószerkezetű, polikromatikus, PMMA bázisú DCL-anyagból történik (SR Vivodent CAD-Multi) (7. ábra), melynek magas a biokompatibilitása. Az anyag kü lönlegessége a gyöngyhatás (Pearl-Structure Effect), mely kiegyensúlyozott színátmenetet biztosít. Az A1 színre esett a választás. A korong multikromatikus színátmenetének kö szönhetően – él, dentin, nyakszín – a monolitikusan frézelt fogak nem igényelnek túl sok utómunkálatot ahhoz, hogy
Részletes árajánlattal és mûszaki tanácsadással kap csolatban állunk szíves rendelkezésére személyesen, telefonon vagy e-mailben.
tak a Digital Denture munkafolyamatába. A színkoncepció az IvoBase anyaggal összehangolt (Preferenc, Pink, Pink V, 34V) (8. ábra).
A CAM gép (PrograMill PM7) első lépésben nagyjából (nyers fázis) marja ki a fogíveket. Míg a fogívek okkluzá lisan túlméretezetten kidolgozottak, addig az alapokat egészen pontosan a protézis alapjának megfelelően marja a gép (9. ábra). A következő lépésben lehet a fogíveket a fogsoralaphoz igazítani. Ehhez egy kétkomponensű, ön kötő ragasztó áll a rendelkezésünkre (IvoBase CAD Bond), hatékony ragasztást biztosítva (9. ábra). Az ezt követő finommarás és simítás megadja a fogív és fogsoralaplap végleges formáját (10. és 11. ábra)
A digitálisan készrevitt fogsor kidolgozásának lépéseit a minimumra csökkentették. A fogso ralaplap vesztibuláris területeinek természe tes morfológiája - a konvex és konkáv terüle tek váltakozásával - bekerült a szoftverbe, és a gép 1:1-ben megvalósította. Kívánság szerint a fogak és az íny egyedi mikrotextúrát kaphat nak. Igény és szükség szerint a kis kopások például erősítik a fogsor természetes hatását. Az előpolírozás kézidarabbal történik, mielőtt a polírgépen habkővel, univerzáis polírpasz tával és pamut boffkefével a fogsor megkapja végső fényét.
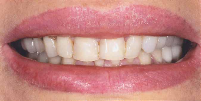
A fogak extrahálása és az alveoláris plasz tika teljes narkózis mellett történt meg, így teremtve ideális helyzetet a protetikai el látáshoz. A műtéti beavatkozás után a pá ciens az ideglenes fogsorral távozott. Egy héttel később jött kontrollra. Nemcsak lát ványra változott meg nagymértékben, ha nem egyértelműen magabiztosabb és ön bizalommal teli volt a fellépése (12. ábra)
Az elsődleges terápiás szakasz kulcsfontos ságú volt a teljes rehabilitáció szempontjából. A páciensnek nem csak szép, esztétikus mo solyt kölcsönzött, hanem életminőségének javulását is hozta (13. ábra). A Digital Denture folyamatnak köszönhetően a kezelés ráfordí tásai is alacsonyak voltak. A fiatal nő mesz szemenően boldog, magabiztos és motivált a következő lépéshez.
Medit T-series labor szkennerek Form 3B 3D nyomtató
A digitális fogászatban élenjáró két gyártó termékei remekül együttműködnek, hogy Ön még kényelmesebben és gyorsabban tudjon tökéletes végeredményt elérni, páciensei megelégedésére. Amennyiben szeretne többet meg tudni a termékekről vagy érdeklődik a digitális fogászat iránt, várjuk szíves megkeresését ismert elérhetőségeinken.
Fontfogak esztétikai helyreállítása KATANA™ UTML teljesen anatómikus koronákkal, vesztibuláris leplezéssel és Biológiailag Orientált Preparálási Technikával (BOPT)
A kiindulási állapot és a végeredmény.
A KATANA™ UTML kiváló esztétikai tulajdonságokkal rendelkezik, és tökéletesen, harmonikusan illeszkedik a rózsaszín szö vetekkel.
1. ábra: A beteg esztétikai problémájára kért megoldást a régi restaurációk természetellenes megjelenése, továbbá a múltban lezajlott periodontitis következtében kialakult fekete háromszö gek miatt. A szövetek visszahúzódása következtében a fogpótlás széle jól láthatóvá vált, a papilla csúcsok elvesztése és a koronák közötti számos fekete térrel együtt, komplex terápiás ellátást igényelt.
2. ábra: A parodontális problémák nem sebészeti kezelési terve a következőkből állt: fogkő-eltávolítás és gyökérsimítás, a korábbi rögzített fogpótlás cseréje, a marginális szövetek helyreállítása, és egy új, esztétikailag kedvezőbb gingivális szerkezet helyreállí tásának megkönnyítése.
3. ábra: Funkcionális szempontból úgy döntöttünk, hogy redu káljuk a mély frontharapást, a korrekt overjet/overbite arány helyreállításához. A redukció esztétikai szempontból is fontos volt, hogy lehetővé tegye számunkra a különböző alkotóelemek helyes kialakítását.
4. ábra: Mielőtt elkezdjük a parodontális kezelést, általában eltá volítjuk a régi fogpótlásokat, és először egy ideiglenes pótlást ké szítünk, hogy olyan környezetet teremtsünk, ahol a lágy szövetek gyógyulni tudnak. Ha a cement-zománc határon kell dolgoznunk, a csonkok előkészítésénél előnyben részesítjük a tangencionális preparálást, és az ideiglenes fogpótlás célja a dr. Loi BOPT mód szerével a marginális szövet kondicionálása.
5. ábra. A BOPT esetén a csonk tangencionális előkészítése során a lezáró vonal a gingivális szulkuszba terjed. Az ideiglenes fog pótlás által a szövetek átmeneti kondicionálása lehetővé teszi számunkra, hogy bizonyos mértékig módosítsuk a gingivális ívek szintjét.
6. ábra: A bal oldali kép a szövetek klinikai gyógyulását mutatja egy hónappal a kiindulási parodontális kezelés után. Az ideiglenes fogpótlás a szövetek kondicionálásának eszköze, amely módosítja a marginális szövet szintjét és alakját. Miután az interproximális terek a megfelelően illeszkedő koronákkal kitöltődnek, a végleges fogpótlással még tovább fognak csökkenni.
7. ábra: Az ideiglenes fogpótlás helyes kezelése elengedhetetlen a szövetek gyógyulásához. Behelyezése – a parodontális kezelés előtt – lehetővé tette számunkra, hogy megteremtsük a megfelelő környezetet a teljes gyógyuláshoz. A tangencionális előkészítés pedig biztosítja számunkra a marginális gingivális szövet foko zatos kondicionálását, szükség esetén az ideiglenes fogpótlás meghosszabbításával vagy redukálásával.
8. ábra: A tangencionális előkészítés egyik előnye, hogy a végső lenyomatvétel egyszerű, mert a vízszintes lezáró vonal hiánya jelentősen leegyszerűsíti az eljárást. Másrészről a BOPT a prepa ráció szubgingivális részének lenyomatát is igényli. A fogtechni kusnak kell eldöntenie a fogpótlás marginális alakját a gingivális vonal helyzetének megfelelően, a fogorvossal történt konzultáció és az ideiglenes fogpótlással elvégzett vizsgálatok alapján.
9. ábra: A modell kiöntése után előkészítettük a gingivális terület hozzáillesztését a fogíny ívének ideális konfigurációjához.
10. ábra: A viaszmodell elkészítése után kiértékeltük, hogy a gingivális zenit szintjének magassága tovább javítható-e. Ez a fotó azt mutatja, hogy a 2.1-es fog gingivális szintje még nem ideális, ezért ezt disztálisan kiterjesztettük.
11. ábra: Miután a viaszmodell elkészült, kivettük az elemeket a modellből, és kiértékeltük a szélek elállását. Miután hozzáillesz tettük a gingiválisan kiálló széleket a preparálás tetszőleges széléhez, azután kezdtük el beszkennelni és kifaragni a koronákat.
12.
13. ábra: A koronák befejezéséhez szituációs lenyomatot vettünk, hogy elősegítsük az adaptációját az ínyhez, a retrakciós fonalak használata miatt ugyanis volt néhány eltérés a szöveteknél az első lenyomathoz képest. A koronákat CZR FC színezőpasztával színeztük és vontuk be.
14. ábra: Az elkészített felületi színek és az enyhe kontraszt ezen a kék szűrővel készített fekete-fehér képen nagyon jól látható.
15. ábra: Ezen a transzlucens képen láthatjuk a KATANA™ UTML természetesen áttetsző hatását, valamint a láthatatlan fúziót a csonkok és koronák között.
16. ábra: Klinikai fotó egy évvel a PANAVIA V5-tel történő bera gasztás után. A marginális szövetek jó klinikai állapotát látjuk, semmi jele gyulladásnak vagy vérzésnek. A BOPT lehetővé teszi számunkra, hogy optimalizáljuk a gingiva szintjét anélkül, hogy parodontológiai sebészeti beavatkozáshoz folyamodnánk, miközben az új koronák alakja lehetővé tette az interproximális terek zárását az optimális esztétikai eredmény érdekében.
17. ábra: A fogpótlás világossága (főleg a transzlucentes cirkóni um használatának köszönhetően), a metszők alakjával kombinál va nagymértékben javította a pótlás esztétikáját, még akkor is, ha a kiindulási helyzet különösen kedvezőtlennek tűnt.
18. ábra: Az előző fogpótlással összehasonlítva a metszők re dukálása nem csak azt tette számunkra lehetővé, hogy optima lizáljuk a funkcionális fázist az overjet csökkentésével, hanem lehetővé tette a még esztétikusabb eredmény elérését azzal, hogy a metszők élének kontúrjával követni tudtuk az alsó ajkat.
MPS Kiváló minőségű protekiai elemek minden ismert implantációs rendszerhez
Az összes ismert implantátum rendszerrel kompatibilis.
MADE IN GERMANY Tradicionálisan magas minőség.
Idő- és pénzmegtakarítás a fogtechnikusok és a fogorvosok számára.
Német mérnökök és fogászati szakemberek dolgoznak együtt, hogy tökéletes protetikai rendszert alkossanak.
tartottam, hogy megfelelő ipari partnereim legyenek. utamon. Minden illeszkedik egymáshoz, és nagyon jól javítja az ellátás biztonságát. Így jó szívvel ajánlhatunk Persze, ahhoz idő is kell – ami a mindennapokban gyakran kevés.
A Corona üresen hagyott néhány dobozt a laborban. Azonban javítások, készrevitelek ebben a fázisban is voltak. Ez azoknak a cégeknek jól jött, akiknek választéka műanyagokkal és foggarnitúrákkal volt tele. Elegendő ok e rendszerlényegű fogászati terület méltatására, és egy „rendes” javítás cikkben történő bemutatására.
1–2. képek: Érthető, hogy a páciens, Günter, nem volt boldog.
Günter 79 éves, topfit, kiváló kézműves, valamikor önál ló volt. Azonban privát ellátású fogászati megoldásaival egyáltalán nem volt boldog (1–2. képek)
A front, valamint a harapás katasztrofális (3–9. képek) Nem is értettem, hogyan élt eddig ezzel a helyzettel. Való di „rágóművész” kellett legyen. Elküldtem egyik fogorvos megrendelőnkhöz, hogy kimentsük ebből a helyzetből.
Először alginát lenyomatot vettek – fogsorral, és anélkül. Arcív is felhelyezésre került (10. kép). Minden fogtechni kusnak égnek áll a haja, ha csak kevés időt kap egy nagy munkaigényű javításra. Ezért előre tisztáztuk: jó munká hoz idő kell. Láttam előre, nagyon átfogó javításra lesz szükség, fogfelállítással, ennek digitalizálásával, hogy megfelelő átmene tet is készíthessünk. A páciens még nagyon agilis – nem szabad fogak nélkül hagyni. Günter számára hamar világossá vált a megbeszélések során, hogy a költségek nem lehetnek alacsonyak.
A fogsorokkal lenyomatot vettek a javításhoz, valamint le nyomat készült az átmeneti fogsor elkészítéséhez is. Ezt követte a minták készítése. Azt terveztem, a „Pala-száj koncepció” alapján dolgozom majd. Ezt az eljárást már régebben fejlesztettem ki. A Kulzer cég Pala Mix & Mat ch módszere lehetővé teszi a Pala Idealis, Pala Premium, Pala Mondial és Pala Veneer foggarnitúrák kombinálását az egyedi és professzionális végeredmény elérése érde kében. Ezzel nagyfokú mozgásszabadságot nyerünk. Az illesztés egyedi lehetőségeinek köszönhetően a páciens ellátása precíziós fogsorokkal lényegesen javul (11–12. ké pek). Évek óta a Kulzer termékeivel dolgozom. Így Güntert is ezekkel terveztem ellátni. Először az üres teret analizáltuk, és fogfelállítást készítettem, a dur va iránymeghatározás céljával. Ezt a páciens szájába is bepróbáltuk (13–17. képek). Ilyen esetekben kiemelkedő jelentőségű a fogászati fo tózás. A képeket az új Shofu EyeSpecial C-IV-gyel készítettem. Az így
nyert szituációt beolvastuk és tervet készítettünk en nek alapján. Ezután egy szerű, kedvező költségű di gitális gyártású ideiglenes fogsort frézeltünk ki (18–19. képek) Így páciensünk, Günter soha nem maradt fog nél kül. A Kulzer PMMA váza alapvetően csak áthidaló megoldás, segítségével megállapítható, tud-e enni a páciens. A fonetika rend ben van, az esztétikum eb ben a fázisban nem játszik szerepet. A munkát a ké sőbbiekben tartalékfogsorként terveztük megtartani (20–22. képek) Günter igazán elégedett volt, szerinte már ez is elegendő lenne.
10.
13–17.
18.
19.
20–22.
Világos, hogy ilyen „oldtimer” esetén a „rozsdás karos szériát” ki kell cserélni. Az új konstrukció kialakítását a váztól kell kezdeni (23–24. képek). Sima kijavítás itt nem észszerű. A demontázs néhány meglepetést okozott, érdekes volt a reteszház. Minden arany teleszkópot leválasztottunk, majd
– a műanyag részt megtámasztandó – fényrekötő anyagból mintázott fémlemez-részt ágyaztunk be és öntöttünk meg (25. kép). Ezt kis dobozformával láttuk el, hogy tudjuk majd lézerezni. Ezt Börni készítette nekem, aki tapasztalt kom bi-technikus a Schluch-See-i Vögtle laborban.
Pala Veneer és Premium fogakkal állítottuk fel a frontot, Idealis-szal a rágókat (26. kép) . A rágókat megmunkáltam egy csiszolócsík kal, hogy párhuzamos kontakt felszíneket kapjak (27–28. képek) Így nagyon elegánsan illeszthető alul a rózsaszínű műanyag rész.
A felső szemfogat Pala Veneer héjjal „öltöztettük fel” (29–31. ké pek) . Így megkaptuk a megfelelő színharmóniát is (32. kép) . Szilikon blokkal rögzítettük a fogfelállítási helyzetet.
A további eljárás ismert. A műanyag fogak és a viasz el
távolítását követően mindent leforráztunk és legő zöltünk. Ezt követte a homokfújás. A vázat metal bond 1+2 kötésjavítóval kentük be (33. kép) , majd rózsaszínű opákert hordtunk fel rá (33. a kép) . A
mintákat nyomáskamrában 5 bar-on vízzel te lítettük, és izoláltuk. Ehhez a javításhoz a Pa laXtreme anyagot használtam. A PalaXtreme kifejezetten törésbiztos műanyag, minden indi kációhoz használható, jól terhelhető, implan tátum-megtámasztású teljes és részleges fog sorhoz, sínekhez és javításokhoz is alkalmazha tó. A megszokott öntő- és injektáló eljárások a Core-Shell technológiával kimagaslóan jó törési és húzószilárdságot biztosítanak. A PalaXtreme a teszteken mind a törési szilárdság, mind a tö rési munka területén túllépi az elvártakat: 2,39 MPa*m1/2, illetve 1.128 J/m 2 értékkel. A szaba dalmaztatott recept előnyei:
• flexibilis, extrém biztonságú feldolgozás (sok indikáció az öntés- és injektálási technikában. A lepattanások, re pedések és látható hibák minimalizálása)
• a méltányossági javítások megakadályozása
33.
nem allergén: a PalaXtreme alacsony maradék-mo nomer tartalmának köszönhetően különösen kímélő (34. kép).
A PalaXtreme keverése az ismert módon történik (35. kép). Az anya got a Palamat Premium gépben 55 fokon 30 percig keményítjük (36. kép)
Az alsó leplezéseket metal bond 1+2-vel kezeltük, Signum leple zőanyaggal egészítettük ki, majd kidolgoztuk.
Az alsót és a felsőt is ellenőriztük funkció és okklúzió szempontjából. Ezt finommunka követi: a kidolgozás. Smirglizés durvától finomig, és az előpolírozás finomszemcsés habkő porral (37–39. képek). Végül a fogsor megkapja végső fényét a polírboxban és a munkaasztalon (40–42. képek). Az egész munkát megkoronázandó mindkét műanyag munkadarabot
Tiszta esztétika és tökéletesség
• megnövelt áttetszőség
• tökéletes színátmenet
• biokompatibilis
• héjak, inlay-k, onlay-k
• overlay-k, részleges és szóló koronák
• valamint hidak (3 tagig) építőeleme
A színes
• természetes színátmenet
• megnövelt áttetszőség
• nagy szilárdság
• körhidak, all on four megoldások alapja
• biokompatibilis
• költséghatékony
A teljes Metoxit portfólióért kattintson ide
a Henry Schein HS-Prothesenfinish anyagával kezelem. (Erről részleteket kolléganőm, Simone Ströhla 89. oldalon található cikkében olvashatnak). Günter persze már nagyon izgatott volt – az új rekonstrukció azonnal illeszkedett, ő pedig sugárzott. „Ilyen sok fogam még soha nem volt” mondta. Újra tud megfe lelően harapni, rágni, és optikailag is sokkal jobb a megjelené
se. Ez azt jelenti, hogy egy megfelelően megfizetett javítás is szolgálhat üzleti modellként, tehát lehet vajas kenyér, vagy nem? (43–44. képek)
Üzleti életemben mindig fontosnak tartottam, hogy megfelelő ipari partnereim legyenek. A Kulzer termé kei megbízhatóan kísérnek utamon. Minden illeszkedik egymáshoz, és nagyon jól működik. Az MDR-nek is nagy híve vagyok – javítja az ellátás biztonságát. Így jó szív vel ajánlhatunk a páciensnek nagy ráfordítás igényű ja vítást. Persze, ahhoz idő is kell – ami a mindennapokban gyak ran kevés.
Az eset a Schlusee-i Vögtle la boratóriumban keletkezett – a tulajdonos, Hans Peter Vögtle fogtechnikusmester tette le hetővé számomra, hogy nála vigyem véghez a munkát. Nagyon köszönöm. Stephan Ber ger Kulzer alkalmazott fogtechnikusmesternek is köszö netem. Végül Günternek, a páciensnek is köszönöm – tü relmét, a számtalan fotó elkészítése alatt, és a megbízást is. Hiszen ő fizette a nagy igényű restaurációt.
Forrás: Das Dental Labor 2020/10
A GC a kifejlesztés után elkezdett gyártani egy forradalmi koncepciót a monolitikus kerámiák festése és mikrorétegezése területén. Három összetevőből áll: (1) Initial Lustre Pastes ON E (GC; 1. ábra) paszta formájában, amely mind festésre, mind belső karakterizálásra használható mikrorétegezés során; (2) SQIN (GC), porok a mikrorétegzés során a végső kontúr megadására (most ez a trend). (3) Initial Spectrum Stains (színező porok) az individualizációs lehetőségek növelésére használhatóak. Minden alkotóelem használható cirkónium-dioxid, valamint lítiumdiszilikát anyagokon is. Ennek az új koncepciónak – amit Initial IQ ONE SQIN-nek neveznek – a kiválóságát, praktikumát és esztétikai végeredményét klinikai esettel illusztráljuk.
1.
3. ábra: Mock-up
Egy 18 éves páciens három felső metszőfoga tört el, baleset ben (2. ábra). Mivel egy fiatal páciensről van szó, arra kérte a fogorvost, hogy rövid időn belül ismét természetes legyen a mosolya. A klinikai kiértékelés után az a döntés született,
2. ábra: Preoperatív helyzet.
hogy a minimál invazív megközelítést követve, indirekt ad hezív módon kerülnek a fogak helyreállításra. Koronát ter veztek az 11-es fogra, és héjakat az 12-es és 21-es fogra.
Az elkészült wax-up-ról tiszta szilikon lenyomatanyaggal (EXACLEAR, GC) készítettek másolatot. Ennek a szájba tör ténő behelyezése után egy injektálható kompozitanyag gal (G-ænial Universal Flo, GC; A2-es árnyalat) mock-up készült, amely lehetővé tette, hogy jobb képet kapjanak a végeredményről, és ezzel egyidejűleg ideiglenes helyreál lításként is szolgált (3. ábra)
A héjak és a korona lítium-diszilikátból készült (Initial LiSi Press, GC) (4. ábra), és az Initial IQ ONE SQIN koncepciót követve karakterizálták őket, hogy rendkívül esztétikus helyreállítást kapjanak természetes fluoreszcenciával, miközben optimalizálják a kivitelezéshez szükséges időt. Először a Lustre Pastes ON E pasztákat alkalmazták (5. a ábra). Ezek színmélységet adnak, és mosóégetésként is szolgálnak. A kiégetett LP ONE felületét a SQIN kerámia al kalmazása előtt finoman homokfújták 50 µm Al2Q3_dal (5. b ábra)
A SQIN adja meg a helyreállítás végső textúráját (6. ábra) A végső égetés után az önfényező hatás (7. ábra) könnyen elérhető. Fekete fényben látható, hogy a helyreállítás fluor eszcenciája megnő (8. ábra). A G-CEM Veneer-rel történő (GC; A2 árnyalat) végső beragasztás előtt a restaurációkat glicerinalapú pasztával (G-CEM Try-ln Paste; 9. ábra) bepró bálták. A beragasztott restaurációk mind funkcionális, mind esztétikai szempontból kiváló eredményeket mutattak, visz szaadva a beteg fiatal mosolyának szépségét (10. ábra). A páciens teljesen elégedett volt a kapott eredménnyel.
Az új Initial IQ ONE SQIN koncepció lehetővé teszi a minő ségi elvárások fenntartását mind az idő, mind az esztétikai eredmény tekintetében. Ezenkívül azt is megállapították,
hogy a gyártási folyamat optimalizálható ezekkel a kerámi ákkal; ugyanaz a kerámiaanyag használható a fémmentes vázak új generációján, mint például cirkónium-dioxid-on vagy a lítium-diszilikát-on monolitikus festésre, vagy mikrorétegezésre egyaránt; mindeközben a restaurációk nak a természetes fogakéhoz hasonló fluoreszcenciát ad, így a helyreállítások valóban észrevehetetlenek (11. ábra)
Elismerés:
A szerző szeretné megköszönni dr. Stefania Trussónak (Capo d’Orlando ME, Olaszország) a klinikai munkáját. A cikk a GC Get Connected Magazin 19. számában jelent meg.
A cut-back (visszavágás – a ford.) lehetőségek többletértéket hoznak a leplezésnek
• teljes redukció („full cut-back”) a teljes kerámialeplezéshez
• lingvális szegély („lingual collar”) könnyebb megfoghatósá got biztosít a leplezés kezelésében
• approximális érintkezések („proximal contacts”) a fogak kö zötti területen teljes anatómiájú kontaktpontokat alakít ki, minimalizálva az ezen területen esetleg fellépő lepattanást • vesztibuláris redukció („facial cut-back) a koronát vesztibu lárisan redukálja a leplezéshez szükséges hely biztosításá val. Az orális, approximális és okkluzális felületek teljesek.
Az Atlantis-koronákhoz alkalmazható Cercon xt ML cirkóni umdioxid anyag bevezetését követően további fejlesztésre ke rült sor a CAD/CAM gyártású Atlantis-koronák terméksorában: négy különböző visszavágású variációban is megrendelhetők. A Dentsply-Sirona Atlantis gyártósora egyedi implantátum felépítmények és koronák CAD/CAM-es készítésére képes, egyéniesítve a páciens esetnek megfelelően. Precíz illeszke dés biztosítható a páciens esztétikai szituációjához. A négy cut-back variáció egyedi rugalmasságot nyújt az esztétika és a funkció összehangolásához:
A koronák egyszerűen az „Atlantis-WebOrder” portálon ke resztül megrendelhetők (www.atlantisweborder.com). A fel építmény típusának kiválasztása után a kívánt forma a cutback opciók közül választható ki. Igény esetén az értékek il leszthetők a kerámialeplezéshez. A korona és felépítmény konstrukciója és gyártása a hiányta lan workflow segítségével kiemelkedő eredményeket biztosít. Több biztonságot nyújt a felhasználónak, és lehetővé teszi, hogy az implantátumos ellátás nemesítésére koncentráljon.
www.dentsplysirona.com
A cirkónium nem éppen egyszerűen megmunkálható. A végső korrekciókat követő polírozáshoz szükség van kellő mennyiségű gyémántszemcsével gazdagított políro zókra, amelyekkel elérhető a cirkon felületének adekvát tömörítése – ez pótolja a kie gészítő fényégetést. A Busch cég kétfokozatú, kifejezetten cirkonra optimalizált políro zórendszert ajánl a laboroknak. A felhasználó – igénye szerint – öt különböző formát alkalmazhat.
Két lépcsőben érhető el a kívánt magas fény, a türkiz és sárga eszközök az előpolíro zásra, a rózsaszín-sárga eszközök a magas fény elérésére valók. Az elért fényesség és simaság megfelel a fényégetésének, nincs szükség további, időigényes égetésre. A kisebb javítások a szájba helyezés során a legrövidebb időn belül, a szék mellett kivitelezhetők.
www.busch.eu
A VITA LUMEX AC leplezőkerá mia indikációs területét meg növelték. Ez jobb átlátható ságot biztosít a laboratóriumi fiókokban. A világ első univerzális kerámiájaként a VITA LUMEX AC egyszerűen kezelhető és magas esztétikájú leplezőanyag nem csak lítium-diszilikátra, cirkónium-dioxidra és földpátkerámiákra, hanem titánvázakra is. Ez hatékonyabb és csökkenti az üzemi költségeket.
A leplezőkerámia-rendszer megerősítésére érkezik a VITA LU MEX AC OPAQUE és MARGIN, amelyekkel megfelelő fedés ér
hető el, illetve a cervikális területen a kerámiaváll célzottabb fényvezetést biztosít. A VITA LUMEX AC-t mindenki használni tudja, függetlenül attól, kezdő tanuló, vagy kerámiamester-e! A hagyományos séma szerinti leplezés is réteggazdag esztéti kát és a VITA FARBMATCH (színkulcs – a ford.) szerinti hatékony színelérést biztosít. Az egyszerű kezelhetőség támogatja az Ön kézügyességét. Ez a VITA LUMEX AC, a „VITA – perfekt match” minden labor számára. Aki ki akarja próbálni az újdonságot, 30% kedvezménnyel rendelhet VITA LUMEX AC STANDARD KIT-et, amely tartal mazza a VITA Servicepacket-et is.
www.vita-zahnfabrik.com
Fogászat és esztétika
A fogpótlások elkészítése mindig összetett feladatnak számított. Szakmai szempontok az elsődlegesek: stabilitás, funkció, illeszke dés, biológiai és kémiai megfelelőség. A fogorvos és a fogtechni kus is törekszik munkája során, hogy legjobb tudását, széleskörű ismereteit a lehető leghasználhatóbb, a páciens számára sikert garantáló formában építse be az elkészülő fogműbe. Tervezés, ki vitelezés csakis akkor lehet sikeres, ha mindketten jól képzettek és felkészültek a szakmai munkában.
És mit észlel első sorban a páciens, a beteg? Az esztétikai megje lenést. Sőt, ma már gyakran azért megy a páciens a fogorvoshoz, hogy változtassa meg mosolyát. Nem azért, mert fáj a foga, vagy laikus szemmel is látható defektusai lennének. Mindannyian érez hetjük – fogorvos, asszisztens, fogtechnikus és páciens –, hogy nehezen megfogható, szakmai nyelvezettel nem minden esetben definiálható területről van szó. Az „esztétikus” mást jelent mindany nyiunk számára, még akkor is, ha látszólag egyről beszélünk. A pá ciens esetleg hófehér, szabályos fogakat ért alatta. A kezelőorvos hibátlan, korhoz illő megjelenést. A fogtechnikus természetes, a páciens típusára, korábbi megjelenésére jellemző fogakat készí tene. Igazán jó, természetes, esztétikus restaurációt készíteni nem csak szakma – művészet is.
E könyv megismertet minket olyan emberekkel, akik technikai fel szerelést, technológiát és kézügyességet ötvözve kifejezésre tud ják juttatni művészi érzéküket. Mindannyiunk, a páciens, a kezelő-csapat és a fogtechnikus számára is érzékelhetően. Végül is ez a cél. Forgassák bizalommal, és ügyeljenek a részletekre.
Hasznos időtöltést kíván a szerkesztő: Hajdu Zoltán Technikai információk: méret: A4 • terjedelem: 291 oldal • kötés: keménytáblás • nyomás: színes, ofszet
Vizsga - sokaknak idegeskedést, félelmet, önbizalomhiányt okoz a szó. Nem egyszerű megfelelni mások elvárásainak, különösen, ha megítélésüktől sok függ későbbi életünkben. Tovább bonyolódik a helyzet, ha gyakorlati vizsgáról van szó. Itt már a kézügyesség is számít, nem csak a megjelenés, a tudás – be kell bizonyítanunk, képesek vagyunk adott folyamatok elvégzésé re. Mindezt idegen helyen, új, számunkra barátságtalan eszközök kel, többedmagunkkal, meghatározott időre... Könnyen belátható, miért remeg egy-egy vizsgázó keze.
A fogtechnika, mint hivatás, különlegesen összetett. Sokoldalú, több más szakmát felölelő ismeret együttesére van szükség – el méletben és gyakorlatban egyaránt.
A szerzők képzettségük és tapasztalataik alapján ismerik mind a szakmai, mind az emberi oldal nehézségeit, buktatóit. Könyvük célja a -segítségnyújtás. A cím - ,,Átrágtuk” - jól jellemzi hozzáállá sukat: lelkiismeretesen, értelmezve, bemutatva. Rendszerezett, intenzív előkészületeket biztosítanak. Bemutatják az adott munkafolyamatokat, lépésről lépésre. Szöveggel és kép pel is bizonyítják számtalan vizsga rengeteg diákjának ismeretét, megfigyelését. Megmutatják, előre jelzik, hol várható probléma - s segítenek azt már előre elkerülni. Felsorolják, és a gyakorlatban is demonstrál ják, hogyan, mit kell csinálni, mire kell felkészülni -· sőt, a végered mény objektív bemutatása bizonyosságot ad a felhasználóknak gyakorlás közben.
Kitérnek nem csak a feladatokra - még a szerszámok, anyagok, eszközök összeállításában is segédkezet nyújtanak. A könyv kihagyhatatlan segédeszköz minden leendő és gyakorló fogtechnikus számára - bepillantást nyújt a német szakmai vizsga anyagába, minőségébe is. A briliáns képek és utalások még az esetleg hozzá nem értők számára is egyértelműek. Forgassuk minél többen, minél többet!
Hasznos olvasást és jó szórakozást kíván a szerkesztő: Hajdu Zoltán Technikai információk: méret: B5 • terjedelem: 160 oldal • kötés: keménytáblás • nyomás: színes, ofszet