e-Journal - Fogtechnika 2023/1

Page 1

2023. VI. évfolyam

7. szám A FOGÁSZAT INFORMÁCIÓS MAGAZINJA www.dental.hu

E-JOURNAL FOGTECHNIKA

Interjú az egyégetéses biomimetikus rétegtechnika holland megalkotójával, Edris Rastával

Ilyen gazdaságos a „préselés”

Tökéletes festés –a pontosság az adu

Tökéletes felszín – step by step

Ilyen szép a fogtechnika

Alpha Implant Kft. / 1016 Budapest, Mészáros utca 58., B épület, 4. emelet +36 1 353 9090 / info@alphaimplant.hu / www.alphaimplant.hu
MAGYARORSZÁGI FORGALMAZÓ A VILÁG PIACVEZETO˝ SZÖGKORREKCIÓS CADCAM MEGOLDÁSA MINDEN IMPLANTÁTUM RENDSZERHEZ
KIZÁRÓLAGOS

Tisztelt Olvasó!

2023-ra a fogászati szektor – reményeink szerint – fel tudja dolgozni a Covid-19 okozta nehézségeket, a háború mellett elszabaduló inflációt, és már tervezi az idei év fejlődési lehetőségeit. Mindanynyian abban bízunk, hogy időben alkalmazkodni tudunk majd a változásokhoz, és stabilan tudjuk vezetni a vállalkozásinkat!

A tavalyi év sokunk életében hozott különböző nehézségeket, mégis elmondhatjuk, hogy mindenképp jobb volt, mind a 2020-as és a 2021-es esztendő, amikor a létbizonytalanság, a járványtól való félelem uralta a napjainkat. Az idegenforgalom szépen megindult, de a korábbi számok, a vendégéjszakák még nem érik el a 2019-es év adatait. A nagy rendelők már próbálnak teljes kapacitással üzemelni, a fogtechnikai laborokban is visszatért a folyamatosság, a fogászati kereskedők jelentős része pedig jobb évet zárt 2022-ben, mint korábban.

A fogászati rendelők és fogtechnikai laborok az elmúlt 2-3 évben főleg a fejlesztéseket állították előtérbe, amelyhez számos pályázat és egyéb forrás is kedvező konstrukciókat kínált. 2023-ban – tudomásunk szerint – is lesznek új pályázati források, melyekről a kereskedelmi vállalatok részletesebb információkat tudnak adni. Az új források bevezetése idén már bizonyosan ismét növekedési spirálba helyezi majd ezt a szektort!

Az infláció elérte a fogászati ágazatot is, a vállalkozások az euro változásától, gyengülésétől függően azzal találkoznak, hogy az árak – a mindennapi élet mellett – itt is jelentősen és folyamatos változnak, emelkednek. A fogászati rendelők is kénytelenek az áraikat emelni, egyre több rendelő, ún. „piaci alapú” árképzést vezet be. A folyamat kimenetelét még nem lehet pontosan látni, a munkaerő fluktuációja, az Európai Unió áraihoz képest alacsony magyar fogászati beavatkozások értéke - jelenleg még nem érte el a drágulás csúcspontját. Az elmúlt időszakban számos újság, cikk foglalkozott a fogászati szektorban található extra drágulási folyamattal. Ez egyelőre - a hazai rendelőkben - még nem mutatott jelentős problémát, új hívószavakkal, sok marketing munkával, reklámmal most a magyar lakosságot kell határozottabban a rendelőkbe invitálni!

Idén már 23. éve nagy energiával szervezzük, és sok munkával készülünk az őszi Dental World Nemzetkö-

zi Kongresszus és Szakkiállítás sikeres lebonyolítására, melyen reméljük, hogy az egész fogászati szakma képviselteti majd magát! Nemzetközi szinten is ismert/elismert előadók, gyakorlat-orientált képzések, továbbá sok új élmény is várja majd a látogatókat, az érdeklődőket!

A kiadó bizakodva tekint a jövőbe, a megújult tartalmaink kapcsán sok pozitív visszajelzést kapunk, melyeket nagyon köszönünk! Az elmúlt években - a nehézségek ellenére is - növelni tudtuk a kiadványaink, a magazinjaink számát, nem csökkentve azok tartalmi minőségét. 2020 óta a tematikus e-Journalok is folyamatosan megjelennek, melyek egyfajta online könyvtárként is szolgálnak az olvasóinknak. A dental. hu oldalon díjmentesen elérhetőek a korábbi tematikus online lapszámaink is.

A mostani kiadványunkban általános fogorvosi eljárások mellett a fogtechnika témakörével foglalkozunk.

Jó olvasást kívánok!

Laczkó Tamás, felelős kiadó

3 VI. ÉVFOLYAM – 2023. 7. SZÁM

E-Journal VI. évfolyam, 2023. 7. szám

Kiadja: DP Hungary Kft. 1012 Budapest, Kuny Domokos u. 9.

Felelős kiadó: Laczkó Tamás

Főszerkesztő: Róth Lajos

Előkészítés:

DP Hungary Kft., Sárközi András e-mail: grafika@dental.hu

Információ, hirdetésfelvétel: Bárdos Veronika, telefon: 06-30-472-0030, 06-1-793-1874

Az újság e-mail címe: info@dental.hu

Az újság internetcíme: www.dental.hu

Terjesztés: E-mail hírlevél formájában.

A tudományos közleményeket a szerkesztőség lektoroknak adja át véleményezésre. Közlés csak egyetértő lektori vélemény, illetve a javasolt módosítások elvégzését követően lehetséges.

A cikkek szerzői vállalják, hogy az általuk elküldött írás saját forrásból származik, illetve a felhasznált anyagokat (publikációkat, illusztrációkat, képeket stb.) mindenkor pontosan feltüntetik. Írásaiknak jogi és egyéb adatvédelmi kérdéseiben felelősséget vállalnak.

A német nyelvű szakmai cikkeink magyar fordítását az Oemus Media AG Kiadó engedélyével szerkesztettük lapunkba.

A fel nem használt kéziratokat, fotókat nem őrizzük meg, és nem küldjük vissza.

A hirdetések tartalmáért nem vállalunk felelősséget. A gyártó, illetve forgalmazó cégek kérésére közzétett cikkeket keretbe foglalva közöljük és (x)-szel jelöljük, azok szakmai tartalmáért a szerkesztőbizottság nem vállal felelősséget.

4 Tartalom FOGTECHNIKA Interjú az egyégetéses biomimetikus rétegtechnika holland megalkotójával, Edris Rastával 8 Ilyen gazdaságos a „préselés” 18 Új paradigma az esztétikai helyreállításban 26 Tökéletes festés – a pontosság az adu 32 Harapásemelés digitális technikával 44 Tökéletes felszín – step by step 50 Hagyomány a digitális fejlődés árnyékában – a CAD/CAM technológia analóg szereplői 58 Győztes az egyedi restaurációk készítésében 64 Ilyen szép a fogtechnika 70 Termékújdonságok 80

VEZESD ÁT CÉGEDET A XXI. SZÁZADBA a Pi dental START programjával

Most kamatmentes részletfizetésre elviheted saját marógépedet

l akár 12% kezdő részlettel

l akár 36 hónap futamidővel

l Nincs maradványérték az utolsó részlet kifizetéssel a tiéd a gép

l Ingyenes betanítás

l A Pi dentaltól megszokott késedelem nélküli szerviz szolgáltatás

Válassz futamidőt!

36 hónap

havi törlesztőrészlet nettó: 139 440 Ft-tól Növekvő ütemű

24 hónap

havi törlesztőrészlet nettó: 229 080 Ft-tól Növekvő ütemű

12 hónap

havi törlesztőrészlet nettó: 730 400 Ft-tól Állandó

Ha nem vált be az elképzelésed, visszavesszük a gépet!

Az ajánlat a teljes CAD/CAM rendszerre is érvényes!

(Marógép, Szkenner, kiégető kemence, számítógép, induló készlet.)

Kérd részletes tájékoztatónkat a sales.pidental.@pidental.hu e-mail címen, vagy a 36 30 9643 721-es telefonszámon!

ADENTALPRESSTEMATIKUSKIADVÁNYA

Nyomtatott magazinok

2022 / III.ÉVFOLYAM–ÁR:2500FT

DIGITÁLIS FOGÁSZAT

pot az orvoskamara kifejezésével élve: „irányítási-igazodási válság” –, amiben az egészségügy járvány eleje óta őrlődött két tárca között. Igaz, sokan csalódtak, hogy az új kormányban sem lesz egészségügyi minisztérium. Őket friss ágazati egyik első megszólalásakor azzal vigasztalta, hogy az egészségügy érdekérvényesítő képességét nem az önálló minisztérium erősíti, hanem a mi

niszter személye.

bilitás érzetét erősítheti, mivel

Tanulmányozd először az elméletet, aztán jöjjön a gyakorlat, mely belőle származik

„A helyreállító fogászat lett a szenvedélyem és a mindennapi munkám”

Hagyományos teljes fogsor hatékony átalakítása

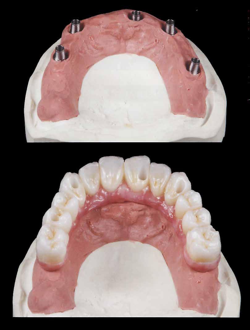
Teljes ívű rehabilitáció primer vázra ragasztott lítium-diszilikát szekunder koronákkal

ESETISMERTETÉS ESETISMERTETÉS
PORTRÉ
INTERJÚ
Katona József hogy túl nagy változások nem vár-demi fejleményt azonban már tárca (EMMI) felszámolásával azniszter portfóliójába került. Ezzel megszűnhetett az az áldatlan álla-
-
-
őt „igen közelről”, az Országos Kórházi Főigazgatóság (OKFŐ) főigazgató-helyettesi székéből vette magakozásakor pedig azt hangsúlyozta: egészségügyben. Az első nagy léciklusban, most finomhangolásjövő szereposztásáról is: stratégioperatív végrehajtás az országos utóbbi poszton Jenei Zoltánnal indul óta tölti be hivatalt. Bemutatkozásakor azt jelezte az államtitkár: nyár közepéig elkészítik „stratégiai anyagaikat”, csak olyan megoldási javaslat kerülhet kormány elé, amit támogatnak szakmai szervezetek is. Így minden érdekelt reményekkel telve indulhatott nyaralni, bízva abban: számára is gyümölcsözően alakul majd az ágazat sorsa. A Magyar Orvosi Kamara (MOK) azonban semmit sem bízott a véletlenre. Amint felállt a kormány, egy 8 oldalas levélben részletezték belügyminiszter számára, hogy miben problémáit. Látleletükben egyebekutak szétzilálódtak, várakozási idők ellátások közel elérhetetlenné váltak,berhiány. Összességében úgy látják, hosszú, sem rövid távon nem tartszorgalmazták ajánlották hozzá a helyzet javítására egy, a 2011-es részletességű programot alkossanak. Az ellátási problémák nagyságának érzékeltetésére Kiss Zsolt Nemzeti Egészségbiztosítási Alapkezelő (NEAK) főigazgatója szolgált egészen meghökkentő adatokkal június elején. E szerint idén, az első negyedévben a kórházak közel negyedével, szakrendelők ötödével kevesebb beteget láttak el, mint a járvány előtti utolsó év megfelelő időszakában. A krónikus osztályok teljesítménye pedig korábbinak Mindez arra utal, hogy sok páciens be sem jut az ellátórendszerbe, kórházszövetség kongresszusának ma 19-31 százalékkal kapnak több indokolna. 3. oldal TUDOMÁNY ÉS KUTATÁS A fogászati implantológiát évtizedeken elérése vezérelte. kifejezés létrejöttét P. Branemarktól eredeztetik, aki elsőként írta le vitális csontszövet és vele kapcsolatba kerülő titániumból készült eszközök között megfigyelhető... GYAKORLÓ FOGORVOS AJÁNLJA Egy fogpótlás készítéséhez a fogorvos felpuhított viaszba haraptatja pácienst. harapás alapján készített fogpótlás nem csak fogak, a fogpótlás... IRÁNYVONALAK, ALKALMAZÁSOK A Cerec Accept programjának erőteljes szegmense status quo megvitatása. Mindannyian átéltük már, mindannyian éreztük már otthonosan magunkat benne. Velünk nyaralt a remény Új tanulmány szerint a nanorészecskék használata hatékonyabb módszer lehet a fogfehérítésre Anisha Hall Hoppe, Dental Tribune International A dél-koreai Sungkyunkwan Egyebizonyos típusú nanorészecskék lehetnek következő élenjáró megazért nem bíztak bennük, mert azkéről bebizonyosodott, hogy nem a fogfehérítést, és emellett antiremineralizációs tulajdonságokkalben alkalmazzák fogászatban, beleértve fogpótlást, helyreállító fogászatot és parodontológiát. A jelenleg klinikailag használt fogfehérítő szerek, mint például karbamid-peroxid és a hidrogén-peroxid, szabad gyökök keletkezése miatt potenciálisan kóros károsodást okozhatnak. Az áttekintés azt sugallja, hogy a nanorészecskék nemcsak akkor hasznosak, ha fehérítő termékekhez abrázió céljából adják őket, hanem fehérítőszerként alkalmazva még jobban működhetnek, mint meglévő termékek, mivel képesek elősegíteni remineralizációt, oxigénfajokat szabadítanak fel. A keletkező reaktív oxigénfajok oxid és az arany nanorészecskék nanorészecskék viszont hidroxiláttekintés beszámolt szerint hidrogén-perhatást fejtet ki, amikor arany nanorészecskéket használtak, valamint egy másik vizsgálatról, amely kimutatta, hogy az aranylata nem okozott biológiai problémákat vizsgált állatokban. A felülvizsgálat szerzői szerint szükség annak ellenőrzésére, hogy ezek nanorészecskék potenciálisan jelenthetnek-e toxicitási kockáA hosszú hullámhosszú fénnyel amelyről beszámoltak, azt sugallsza szén kompozitja jobb fehérítésiláltak nyilvánvaló toxicitást. Egy hanm-es diódalézerrel aktiválva egy amely titán-dioxid nanorészecskéket tartalmazott, ugyanolyan mértékű fehérítést biztosított, mint egy 35%-os hidrogén-peroxid-oldat. A csoport beszámolt hidroxiapatittal kapcsolatos kutatásról is, amelyről ismert, hogy fogak szilárdságát növeli azáltal, hogy apatitot ad demineralizált zománchoz. Az egyik tanulmány megállapította, hogy hidroxiapatit nanorészecskék fogkrém formájában javították fogak színét, egy másik pedig azt jelezte, hogy a hidroxiapatit nanorészecskéket tartalmazótonságosak. A tanulmány, amelynek címe: „Nanowhitening agents: Progress and perjúnius 15-i számában jelent meg, Forr s: www.dental-tribune.com Kép: Shutterstock/MarcinK3333 B 2022. - XViii é 3. szám The World‘s Dental Newspaper 2022 / XXVI. ÉVFOLYAM – 3. SZÁM A FOGÁSZAT INFORMÁCIÓS MAGAZINJA DENTAL HÍREK ÁRA: 2500 FT PORTRÉ „A tanulási folyamatnak soha nincs vége...” ÚJ GENERÁCIÓ „Csak komplexen kezelek egy problémát...” MED. DENT MED. DENT Kalcifikált felső metszőfog kiszámítható gyökérkezelése 3D-nyomtatott fúrósablon segítségével Szemfog és kisőrlő formázása kismetsző aplázia részárással történő kezelése során 2022 / XIX. ÉVFOLYAM – 3. SZÁM FOGTECHNIKA FOGTECHNIKUSOK SZAKMAI LAPJA ÁRA: 2500 FT Egyedi fogszínkulcsok a CAD/CAM fogpótlások színének meghatározásához A „Majesthetik” csodája – a munkamenet Makó János és Péry Eleonóra interjú –páratlan páros CÍMLAPSZTORI LABORATÓRIUM LABORATÓRIUM A kézművesség tisztelete AKIKTŐL TANULHATUNK 2022 XIX. ÉVFOLYAM – 2. SZÁM A DP HUNGARY TEMATIKUS KIADVÁNYA ÁRA: 2500 FT IMPLANTOLÓGIA INTERJÚ INTERJÚ INTERJÚ „Mindennek az alapja egy tökéletes team megszervezése és működtetése…” Fontos a rendszeres megújulás KERESKEDELMI HÍREK Nézzünk előre! „Én a szakterületek harmonikus együttműködésében hiszek…” Dental Hírek 4 szám/év Fogtechnika 4 szám/év Digitális Fogászat 1 szám/év Dental Tribune 4 szám/év Implantológia 3 szám/év bankkártyás fizetés esetén Szakkönyvek ajándékba! 2023-as éves, mind az öt magazinunkra történő előfizetés esetén választhat fogászati szakkönyveink közül egyet ajándékba 2023 DENTAL PRESS AKCIÓ!
Online magazinok Az előfizetéshez kattintson IDE! 16 újság + 16 e-Journal 45%41 000 Ft helyett 23 500 Ft

INTERJÚ AZ EGYÉGETÉSES BIOMIMETIKUS RÉTEGTECHNIKA

HOLLAND MEGALKOTÓJÁVAL, EDRIS RASTÁVAL

volt az a pillanat, amikor tudtam, hogy ezt szeretném csinálni. Fogakat szeretnék alkotni!

Kérlek mesélj kicsit magadról, mikor és hogyan jött életedbe az elhatározás, hogy fogtechnikus leszel?

A kezdetektől fogva amolyan „művész lélekkel” rendelkezem. Mindig is sokat festettem és készítettem saját kezűleg „műalkotásokat”. A szüleim viszont más pályára szántak, mert úgy gondolták, hogy egy művészt a mai világban nem fizetnek meg jól, ami kicsit sajnos igaz is. Inkább orvosnak, vagy mérnöknek láttak volna szívesebben, hogy biztosabb anyagi jövő elé nézhessek. Sok fogorvos van a családunkban. Emiatt egyszer elutaztunk Németországba egy kis rokonlátogatásra. Úgy alakult, hogy épp munka közben látogattam meg a nagybátyámat, akinek egy fogorvosi rendelője volt. Épp indult abba a fogtechnikai laborba, akik bedolgoztak neki, és kíváncsiságból vele tartottam. Fiatal kölyökként teljesen elvarázsolt, amit ott láttam! Az egyik asztalnál a fogtechnikus kezében épp a gipszminta volt, amire kerámiával épített fel egy fogkoronát. Sokáig csak csodáltam, ahogy dolgozik, majd megkérdeztem mit csinál? Természetesen a válasz, az volt, hogy fogat mintáz, nem sokkal később pedig be is rakta sülni a kályhába a munkadarabot. A végeredmény valami fantasztikus volt! Számomra ez ott és akkor volt a „WOW érzés”, mely egy új világot nyitott meg előttem. Ez

Mikor visszamentünk Hollandiába elkezdtem keresni az útját és a módját, hogyan tanulhatnám ki a szakmát. A választ hamar megtaláltam, mivel összesen egy iskola van Hollandiában, ahol fogtechnikát tanulhatsz. De nem mehetsz és jelentkezhetsz csak úgy az iskolába, hanem először dolgoznod kell egy laboratóriumban pár napot, ahol kapsz egy papírt, hogy alkalmas vagy-e erre a pályára. Ez történt velem is, és szerencsére megfeleltem, így elkezdtem tanulni. Az iskola befejeztével a helyi törvények szerint kötnek veled egy szerződést, hogy támogatták a tanulmányaidat és kettő vagy plusz három évet le kell dolgozz a szakmában. Így dolgoztam két évet, mint fogtechnikai asszisztens, majd még kettő évet, hogy hivatalosan is fogtechnikus legyek. Ezek után eldönthettem, hogy milyen szakirányon tanulok tovább, így a kerámia leplezés, korona és híd szakirányra mentem, ami 5 éves képzés volt, amit el is végeztem. Amikor már azt hiszed, hogy mindent elsajátítottál, akkor a laborban betesznek egy fogtechnikus mester mellé, hogy figyeljen oda rád és tanítson. Nem lehet tudni, hogy ahova kerülsz, az az átadott tudás jó vagy sem, de ez szerte Hollandiában így működik. Ekkor 2004-ről beszélünk, még sajnos nem volt annyi tanfolyam, mint manapság, sem közösségi média tele rengeteg képi és adat anyaggal, így a tudásod nagy részét kénytelen voltál akkoriban a kollégáktól ellesni. Nekem ez személy szerint nagyon tetszett, mert rengeteg gyakorláson, és önképzésen keresztül kellett elérni azt, aki ma vagyok, és az elején említett művész lelkem ezt nagyon szerette! Az alkotás örömét, a tanulást! Arra törekedtem, hogy a kerámiát még szebben, még jobban csinálhassam. A kerámia nagyon összetett dolog, amihez rengeteg gyakorlás és tudás szükséges, így találtam egy fantasztikus japán könyvet, melyet Shigeo Kataoka mester jegyzett. Az a mű és a szerző tudása teljesen lenyűgözött, és azt gondoltam, hogy hű mi ez? Ezt vajon, hogy csinálja? Így ebből inspirálódva, valamint a művészi múltamnak és tudásomnak köszönhetően, szépen lassan haladva fejlődtem és végeztem a munkámat, ami azt eredményezte, hogy egyre jobb és jobb lettem. Mindig arra törekedtem, hogy a fog valódi és szép anatómikus formáját tudjam megformálni, mert véleményem szerint ez a legfontosabb dolog. Így néhány évvel később a gyakorlati labor nagyfőnöke odajött hozzám, és elmondta, hogy nagyon elégedettek a munkámmal és szeretné, ha mostantól személyesen a legjobb fogorvos mellett dolgozzak. Így kerültem Hol-

8 e-Journal FOGTECHNIKA
Szőnyi Balázs

landia legjobb fogorvosának a klinikájára, ahol rájöttem, hogy az elmúlt 10-12 évben, amit csináltam, az teljesen rossz volt. Az artikulátorokban a modellek matematikai pontossággal ki voltak számolva, arcíves regisztráció, izomerők stb., minden apróságra külön oda kellett figyelni. Előtte is sokat tanultam ezekről, de szinte sosem alkalmaztam ennyire mélyrehatóan a dolgokat, mint ahogy ott elvárták. Az első hónapokban borzasztóan frusztrált voltam emiatt, de idővel persze belejöttem és hihetetlenül sokat fejlődtem.

Mik azok a legfontosabb elméleti és gyakorlati készségek és képességek, tanulható és ösztönös skillek, melyeket a legfontosabbnak tartasz a szakma eredményes műveléséhez?

Először is folyamatosan frissítenünk kell tudásunkat. Itt leginkább a szakmai tudásról beszélek, mert a legtöbb fogtechnikus nagyon kreatív, nagyon művészi, nagyon jó ember, de, ha nem értik a funkciót, az okklúziót és a biológiát, akkor az kevés lesz. Szerintem ezt a szakmát két szó írja le igazán: biológia és erőkezelés. Ha ezt a két kifejezést és az ezekhez kapcsolódó tudást összerakod, Te leszel a legjobb. De a probléma az, hogy például az egyik szakember mondjuk érti a biológiát, de a másik meg nem érti az erőkezelést. Sok technikus érti az esztétikai és művészi munkamódszert, de nem érti az erőkezelést. Tehát ha van két ilyen szakember, aki nem érti a két kifejezést egyszerre, akkor ez a két szakember, hiába próbál segíteni valakin, akinek fogászati problémája van, valahol ez a tudás el fog veszni és mindig adódnak majd technikai és technológiai problémák... Szóval jelenleg az a nagy probléma minden fogászati laboratóriumban vagy fogászati klinikán, hogy sok fogorvos és technikus nem érti igazán az okklúziót. Tehát a tanácsom az, hogy kezdjék el megérteni az okklúziót, látogassanak előadásokat és webináriumokat, és rengeteget tanuljanak. Biológiai vonatkozásban az ízületek, és az izom működési szintjén, hiszen az izmok mozgatják az állkapcsot, és mindezek mellett természetesen a fogak morfológiájának és anatómiájának pontos ismerete is nagyon fontos. Tehát legyen szakmai tudásunk a fogászatról általában, legyen meg a tudásunk a funkcióról és az okklúzióról, illetve értsük meg az anatómiát. Mert az anatómia a funkció, a funkció pedig a megértés/megközelítés eredménye. Ha valakinek például rövidek a fogai, az azt jelenti, hogy valami nem megfelelően működőképes és ezáltal fejleszthető. Tehát ennek a szakterületnek a kulcsa a megértés: az okklúzió, a funkcionalitás és az anatómia megértése.

Ha valaki fejleszteni akarja a készségeit és tudását, ezzel a négy témával kapcsolatban kell foglalkoznia. Hosszú folyamat lesz, körülbelül 10-20 évbe is kerülhet, de mindezekkel igazán kiemelkedő lehet az illető szakember.

2006-ban szerezted meg mesterdiplomádat kerámia leplezőként a holland Health Tech Academy-n. Magyarországon Makó Janának volt egy hasonló képzése, mely magasabb szinten oktatta a kerámia leplezés iskoláját, de igazából nem volt, és nincs is külön erre szakosodott állami képzés. Hogy épül fel ez a képzési rendszer? Hogyan látod a jelenlegi képzési rendszert?

Hollandiában három évig tanulod az alapokat, és valóban mindent megtanítanak, de nincsenek konkrét specifikus képzések. Ez egy nagy probléma, mely világszerte jelen van sajnos a képződés kapcsán. A fogorvosok az egyetemen tanulják meg, hogyan kell a szakmát végezni, művelni, a fogtechnikusok pedig olyan iskolákba járnak, amelyek valójában sok esetben nem jó, vagy gyenge iskolák. A holland Health Tech Academy hasonló szintű, mint az egyetem. Mondok egy példát erre: soha nem vezettél korábban Ferrarit, mondjuk egy teljesen hétköznapi Fiatot használsz, valaki odajön hozzád és azt mondja, hogy tudod, van egy gyors autó, a neve Ferrari, mostantól azt kellene vezesd. Nem tudnád pontosan, hogy hogyan kell azt vezetni, mert soha nem ültél benne mint sofőr, soha nem adtál gázt, nem érezted, milyen erős gépezetről is van szó.

Ugyanez a helyzet az oktatással is, mert az oktatási szint Hollandiában is nagyon alacsony e téren. Az emberek nem tanulnak sehol sem jobban. Én talán szerencsés voltam, aki elment a klinikára tanulni és dolgozni. Tehát itt Hollandiában a legtöbb fogtechnikus, aki kiemelkedő és jó képességű, a klinikán dolgozik. Ott mindennap látják a pácienseket, látják a saját munkájuk eredményét a pácienseken, de azt hiszem, a fogtechnikusok 98%-a, csak sodródik, és nem tudja, hogy mit kellene tennie, és a fogorvosok 90%-ának is ugyanez a problémája... Csak sodródnak, nem tudják, hogy mit kell pontosan csinálni. Az Akadémián rengeteg mindent tanulnak. De a szakemberek egy nagy része nem tanul meg a kezdet kezdetén néhány alapvető dolgot a fogtechnikáról, nem sajátít el alapvető ismeretanyagot az anatómiáról, az izmokról, az állkapocs mozgásáról, az okklúzióról és még sorolhatnám mennyi mindenről. A lényeg az, hogy ennek az ismeretnek a nagy részét csak elméletben olvasta a szakem-

9 VI. ÉVFOLYAM – 2023. 7. SZÁM
Edris Rasta fogmetszetei, melyeken a kristályos szerkezetek kiválóan megfigyelhetőek.

berek jelentős része vagy valaki elmagyarázta nekik, amit, még az is lehetséges, hogy az illető szakember, aki átadta ezt a tudást önmaga sem értett meg igazán. Szóval csak elolvasta egy könyvben, elment a vizsgára, de nem érti igazán, mert nem látta a valóságban. Ez igen nagy probléma a fogtechnikusképzés során, mert sokan nem tapasztalják jó ideig a képződés során, hogy valójában milyen problémákkal kell szembesülni a szájban, egy-egy eset kezelése, ellátása során. Szóval szerintem az oktatás jelenlegi módja kifejezetten rossz, hiányos, túl elméleti, miközben a valós élet és látásmód kimarad a képzésekből.

Hollandiában, hogyan válik valaki fogtechnikussá, hogy néz ki a képzési rendszerük?

Az első dolog, hogy elmenj egy fogtechnikai laborba, és felmérjék a képességeidet, hogy alkalmas vagy-e erre a feladatra. Ha úgy látják, hogy igen, akkor elküldik a nevedet az iskolának és elkezdheted a képzést. De ha pl. a laborban nem teljesítesz jól, és nem felelsz meg, akkor nem vagy elég képzett, vagy elég jó ahhoz, hogy fogtechnikus legyél, így nem tudod elkezdeni az iskolát. A labor a tanulóknak Hollandiában is önköltséges, mint sok helyen a világon, de a lényeget nem az iskolában fogod megtanulni, hanem a laborban tapasztalod majd meg a gyakorlatban.

Sokan ismerik az általad kidolgozott úgynevezett „biomimmetikus rétegzési technikát”. Azoknak, akik esetleg kevésbé hallottak róla, mesélnél kérlek az ötlet születéséről, a technika megvalósulásának folyamatáról?

A lényeg az, hogy elkezdtem több szinten is tanulmányozni a természetes fogat. Felvágtam több irányból is egy csomó természetes fogat, több száz darabot is megvizsgáltam. Polarizációs képeket készítettem róluk, majd elkezdtem tanulmányozni a zománc anatómiáját és mechanikáját. Megállapítottam, hogy a természetes fogban különböző rétegek vannak. A rétegek a kristályosodás különböző rétegei. Megfigyeltem, mely kristályos szerkezetek vannak túl közel egymáshoz, mint az pl. opacitás. Szóval, elkezdtem tanulmányozni, és aztán elkezdtem ezt az egészet átvezetni a kerámia leplezésbe. Amikor berakom a kályhámba a kerámiát, egyszerűen csak lemásolom a természetet a módszeremmel. Én ezt biomimetikus rétegezési technikának hívom, mert nem tömörítem kerámiát, csak akkor, ha úgy érzem, hogy szükséges. Sok tanfolyamon, amikor elmész, hogy fejlődj, ott ül egy fogtechnikusmester, aki dolgozgat az ecsetjével, és ha odamész, és esetleg megkérdezed, hogy miért tetted oda ezt a réteget, azt fogja válaszolni: mert ezt így kell. De, ez egy nem jó magyarázat, mert amikor egy réteget teszek fel, igazából nem tudom megmagyarázni, hogy miért ezt a réteget, vagy színt használom, csak tanultam, vagy le van írva valahol. Viszont, nem tudhatom pontosan, hogy néz ki a szájban. Így próbáltam tanulmányozni, megvizsgálni a fogakat, a zománc kristályos rétegeit, majd azt lefordítani a kerámia leplezésre. A természetes zománc felépítését fordítottam át a rétegezés folyamatába. Rengeteg tesztet végeztem, rengeteg fogat és esetet tanulmányoztam, több száz fogat készítettem el a kutató munkám során, és végül rájöttem, hogy a kristályosodás érdekében, ami a természetben előfordul, különböző rétegekben kell dolgoznunk, és ezt hívjuk „biomimetikus rétegzésnek” vagyis ha szépen akarjuk

nevezni, akkor „a biológiai fog réteges technikájának”. Szerte a világban tartasz telt házas képzéseket, hogyan kerültél a pódium másik oldalára, hogy kezdődött oktatói, előadói tevékenységed?

Nos, nem vagyok egy született előadó, legtöbbször nem is nagyon tartok előadást. Nem vagyok hivatalosan tanár sem, csak szeretem a lehető legjobban végezni a munkámat. Sok embernek tetszett, ahogy dolgozom, szerették volna ezt közelebbről is látni. Az egész úgy indult, hogy klinikák meghívtak, hogy magyarázzam el nekik a módszeremet. Onnantól fogva, viszont sok országba meghívtak, hogy előadásokat tartsak. Minden alkalommal, amikor bemutatót tartok vagy oktatok, azt is elmondom, hogy én csak szeretném megmutatni és elmondani, amit csinálok. Az előadásaimban mindig vannak hivatkozások, hogy melyik híres fogtechnikustól, éppen melyik cikkből idézek, és megpróbáltam a biológiai fogászatot is bevonni a munkáimba. A célom, inspirálni a technikusokat, afelé, hogy több ismeretet kapjanak a fogászatról és a funkcióról egyaránt. Amikor elkezdem az előadásaimat, az olyan volt, mint most ez az interjúnk, ahol beszélgetünk. Én csak elkezdem, és ők figyelnek arra, amit mondok és mutatok. Rengeteg képi prezentációm van, amit csak kivetítek és elmagyarázom, hogy mit, és hogyan csinálok, elmagyarázom, amit tudok és akiket tapasztaltam a karrierem során.

és ismerje

10 e-Journal FOGTECHNIKA
Szerintem egy jó előadónak első fontos ismérve, hogy tudja
nagyon alaposan és jól azt, amiről beszél. Ha nem tudod, hogy miről beszélsz, nem leszel jó előadó, de ha pontosan tudod, és ismered az anyagodat, és ismered az előadásodat, akkor nincs szükséged semmilyen készségre, mert csak elmagyarázod a közönségnek, amit csinálsz.

Eddigi pályád során milyen országokban jártál, melyek voltak a legemlékezetesebbek ezek közül?

Összesen 47 országban jártam előadóként, kicsit pontosabban 76 városban, és eddig több mint 5000 technikust és fogorvost tanítottam. Megmondom őszintén, hogy minden országban, ahol tanfolyamot tartok, szenvedélyes és nagyon kedves emberekkel, akik ugyanúgy szenvedéllyel szeretik, amit csinálnak, mint ahogy én is. Minden hely, ahova eljutok gyönyörű is. Nem tudom megmondani, hogy konkrétan melyik volt a legemlékezetesebb. Voltam Moszkvában, sokszor voltam Kuvaitban, Szaúd-Arábiában, Izlandon, Amerikában, Egyiptomban, és rengeteg más csodálatos helyen. Egyiptomot nagyon szeretem, a piramisok valami fantasztikusak. De ismételni tudom magam, számomra a tudás átadása a legfantasztikusabb érzés, bárhol is legyek a világon.

Hazánkban is jártál, kurzusod nagy népszerűségnek örvendett Magyarországon is. Milyen emlékeid vannak?

Budapest nagyon szép város! Péry Eleonóra volt a tolmácsom, nagyon jól fordított, és fantasztikus srácok vettek részt a kurzusomon. A kétnapos rendezvényen magas képzettségi szintű technikusok, köztük nagy fogászati cégek képviselői is részt vettek. Intenzív gyakorlati biomimetikus rétegezési technika képzés volt, amelyről videófelvétel is készült, ajándékba pedig egy jó magyaros vacsorát is kaptam, ahol együtt vettünk részt a csapattal. Örültem, hogy nem okoztam csalódást nekik, mivel nagyon magas tudású szakemberek voltak a résztvevők között. A szállodám, Budán volt, így minden reggel a hídon utaztam keresztül, ez nagyon szép élmény volt 2016-ban. Remélem, hogy újra meghívnak majd, mert tényleg fantasztikus volt!

Mi volt az eddigi legnagyobb kihívást jelentő munkád? Egyáltalán, mitől lesz egy munka emlékezetes számodra. Nos, megmondom őszintén, minél többet tanulsz és tudsz

a szakmáról, annál inkább alkalmazkodnod kell tudásodat a munkában. Még ma is úgy gondolom, hogy a szakmám egyre összetettebb és egyre nehezebb, mivel minél többet tudsz, annál inkább meglátod az összes apró dolgot, amire szükséged van ahhoz, hogy jól végezd a munkádat. Minden munka, amit kézhez kapsz, ha jól akarod csinálni kihívást jelent. Mindegyiknek megvan a sajátossága, mindegyik egyedi, mindegyik felvet egy problémát és a problémára látnod kell a megoldást. Egyszóval minden munka kihívást jelent, és én mindennap tanulok az eseteimből. Én a héten öt napot dolgozom a laborban, illetve legtöbbször az előadásaim miatt hétvégén is. Ha több tanfolyamom van, vagy akár többnapos tanfolyamot tartok, több idő szükséges a napi munka ellátására is. Számomra az idő nem számít, de a minőség annál inkább, így néha több időre is van szükségem egyegy munkához, mint általában. Tehát, ha úgy adódik, akkor vasárnap visszatérek a laborba, és elkezdem vagy folytatom a munkát. Mielőtt bárki gondolná, nem vagyok munkamániás, csak maximalista és perfekcionista. Azt látom, hogy ahhoz, hogy jó technikus legyen valaki, több időre van szükség. Egyszerűen nem lehet heti 30 órát dolgozni és mellette sikeresnek is lenni. Ha olvas is mellé az ember és tényleg született tehetség, akkor talán... De nem sok olyan van, aki tényleg annyira tehetséges lenne, hogy kevés munka mellett is sikeres. Tehát a tehetség és a kemény munka, a tapasztalás és gyakorlás, valamint hibázás és az ezekből való tanulás kombinációja a siker titka. Azt hiszem, hogy szükség van erre a gyakorlatra, a rengeteg munkára és verejtékre. Sok embert követek, nem csak szakmabelieket, hanem például Cristiano Ronaldo-t. Ő egy kiváló példa. Ha megnézed őt, persze, most már idősebb, de régebben a többiek előtt ért ki a pályára, jóval keményebben edzett, mint bárki más a csapatban, és miután vége lett az edzésnek, és mindenki hazament, ő folytatta tovább az edzést, és önmaga fejlesztését. Ez tette őt azzá, aki lett, ez tette őt Cristiano Ronaldóvá. Tehetséges, de

11 VI. ÉVFOLYAM – 2023. 7. SZÁM

keményen is dolgozik mellé. Szóval, ha ránézel, ő egy sikeres srác, és nem csak a tehetsége miatt, hanem a szenvedélye miatt, aki kőkeményen is dolgozik. Én a szenvedélyben hiszek! Ha nem töltesz elég időt ezzel, nem fogod elérni a kiválóságot, a legmagasabb szintet.

Manapság egy fogászati szakembernek is – legyen szó fogorvosról, fogtechnikusról, dentál higiénikusról stb. – érdemes a social media különböző felületein is képviseltetni önmagát. Munkásságodat számos platformon követhetjük és a megosztott tartalmak kapcsán azonnal szembetűnő azok magas színvonala, igényessége. Te magad tartod kézben ezeket a platformokat vagy másra bízod a social felületek kezelését?

Az egész, úgy kezdődött, hogy szerettem volna látni néhány nagyon jó japán, görög és német technikus munkáját, ezért is regisztráltam fel ezekre az oldalakra. Kezdetben csak azért kezdtem el feltölteni a munkáimat, mert tetszett a dolog. Majd idővel lassan az emberek elkezdtek követni engem, kérdéseket tettek fel, amire megpróbáltam válaszolni, és igazából így kezdődött a közösségi médián a megjelenésem. Szerintem a közösségi média felülete nem a legfontosabb hely a tanuláshoz. Kaphatsz némi információt, el is sajátíthatsz valamit, de sajnos rossz dolgokat is tanulhatsz. Emiatt úgy gondolom, hogy nem szabad kizárólag a közösségi médiára összpontosítani, és nem is szabad tőle függeni. Úgy gondolom, hogy ha a munkád tényleg jó, akkor a jó fogorvosok enélkül is megtalálnak a való életben, így eleve eléggé elfoglalt leszel, ahhoz, hogy a közösségi médiával foglalkozz. Ha a munkád valóban jó, és a megfelelő információkkal látod el, akkor érdemes bemutatni. Számomra az énmárka építése a szakmában nem volt tudatos dolog. Ez inkább annak tudható, hogy van egy filozófiám. Bemutatom és elmagyarázom a munkámat, megmutatom az utat, ahogyan készült, megmutatom az eseteimet, aztán megmutom a páciensek arcát, akik boldogok a munkámnak köszönhetően.

Mi a véleményed a fogászati szakma digitalizációjáról? Te személyesen belekóstoltál már a digitális fogászatba?

Úgy gondolom, hogy a jövő, ami most van, a digitális technológiákról szól, mert segítségével kiszámíthatóan lehet dolgozni, sokkal többet láthatunk a technológiának köszönhetően, és sokkal pontosabban dolgozhatunk ezáltal. Elképesztő, az a világ, ami most kezdődik. Igen, természetesen használom én is.

Mit javasolsz a következő fogtechnikus generációjának?

Azt javaslom, hogy tanulják meg jól az anatómiát. Az anatómia az első számú dolog, függetlenül attól, hogy analóg vagy digitális technikával dolgozik valaki. A jövőben már szinte minden digitális lesz, de nagyon fontos, hogy tápláld a tudásod, hogy megértsd a dolgokat. Ezért mindig azt mondom a diákjaimnak, hogy próbálják meg kézbe venni a dolgokat, felépíteni viaszból a fogakat, hogy lássák és megértsék a 3D-s formát, mert a képernyőn azt mondják, hogy mindent három dimenzióban látsz, de ez szerintem nem teljesen igaz. Szóval próbálják érezni a fogak formáját, kézbe véve, tapintva, hogy nézzék meg az emberek fogait, képeken és a valóságban is. Azt hiszem, ha a fent felsoroltakat megteszik, akkor nagyon erős digitális képességekkel megáldott fogtechnikusok lesztek. Az anyagok terén, mint a kerámia, én azt javaslom, hogy egy anyagot ismerjenek nagyon és azt használják. Én, személy szerint az Ivoclart használom régóta, ami bevált számomra és jól ismerem.

Eddigiekben is kiderült, mennyire sokrétű és szerteágazó a szakmai tevékenységed. Feltételezésem szerint komoly time-managementet igényel, hogy ennyi területen helyt álljon az ember nap mint nap. Hogyan kivitelezed ezek időbeli összeegyeztetését a mindennapokban?

Ahogy látod, most mikor készül ez az interjú este 21:00 óra körül vagyunk és még mindig a laborban vagyok. Tudod, ha valamit jól akarsz csinálni az életben, a szakmádban, időre van szükséged, és nem tudsz időt spórolni, arra, hogy jól csináld a munkádat, időt kell rá szánni. Szóval én csak próbálok a betegeimre koncentrálni, mert ez az első számú prioritásom. Bevallom, amikor van egy kis szabadidőm, akkor megpróbálok szakmai könyveket olvasni. De, ezt a gyakorlatot ma már kevésbé csinálom, most már van egy bizonyos mennyiségű tudásom, amit már csak finomhangolnom kell. Tehát, ezt úgy értem választok egy irányt, ami számomra a legfontosabb, és ez a funkcionális okklúzió. Igyekszem egyre jobbá válni ebben az irányban, mert ha van egy bizonyos készséged, akkor azt nem fogod elveszíteni. Ha megtanulsz biciklizni, akkor ezt a készségedet sosem fogod elveszíteni, de folyamatosan még jobbá válhatsz benne. Tehát mi a fontos? A kitartás és a folyamatos munka, valamint a folyamatos tapasztalás. Ez nagyon fontos.

12 e-Journal FOGTECHNIKA
2023. OKTÓBER 12-13-14. „Találkozzunk Európa fogászati eseményén Budapesten dentalworld.hu
XXIII. DENTAL WORLD
Dr. Giovanni Olivi Olaszország Danielle Rondoni Olaszország Dr. Marco Mailonio Olaszország Dr. Francesco Amato Olaszország Dr. Andres Pascual Spanyolország Dr. Peter Vaughan Ausztrália Dr. Matthew Vaughan Ausztrália Dr. Joseph Choukroun Franciaország Dr. Nuno Pinto Portugália Dr. Giedré Kobs Litvánia Prof. dr. Mutlu Özcan Svájc Dr. Mile Churlinov Észak-Macedódina Dr. Ruth Perez Alfayate Spanyolország Dr. Maciej Czerwiński Lengyelország Dr. Andrea Franzo Olaszország Dr. Hazem Idriss Csehország Dr. Arthur Volker Amerikai Egyesült Államok Dr. Alain Simonpieri Franciaország Dr. Steffen Ulbrich Ausztria Dr. Michał Ganowicz Lengyelország

Fogtechnikus Tanulónap

2023. október 12., csütörtök

Földvári Imre Fogtechnikai

Kongresszus

2023. október 13., péntek

23

Workshop program

Bioarchitektura –technika a molárisokhoz

2023. október 12., csütörtök

Tippek & trükkök – egy módszer mellyel gyorsan és esztétika-funkció helyesen tudunk molárisokat restaurálni

A cél, hogy megértsük és elsajátítsuk e módszer protokolját lépésről lépésre

1. ELMÉLET FOGORVOSOK ÉS FOGTECHNIKUSOK részére

- Szín elmélet – mit nézzünk és hogy reprodukáljuk

- A molárisok morfológiai elemei – a dentinmag formája

- Anyag és technika választás az eset függvényében

- A felszíni textúra fontossága

- A kor és a fog funkciójának jelentősége

- A polírozás, finírozás jelentősége a hosszútávú sikeresség érdekében.

2. GYAKORLATI RÉSZ (FOGORVOSOK & FOGTECHNIKUSOK)

A 16 fog felépítése lépésről lépésre – két módon

Nagyon fontos, hogy a feladat megoldásához a megfelelő anyagot és a hozzáillő megismételhető technikát alkalmazzuk a hosszútávú , előre megjósolható eredmény érdekében. Az optikai effektusokat figyelembe véve , főleg a belső és külső morfológia szabályait követve érhetjük el a kivánt esztétikát és a funkcionális egyensúlyt. A restaurációhoz használt anyag ismerete és a felépítendő fog minden egyes elemének kódolása teszi lehetővé az ideális eredmény gyors elérését.

Cél: a felépítendő természetes fog morfológiai analízise biomechanikai és dentalis harmóniai szempontból.

Olyan rétegzési technika elsajátítása, amely a belső elemek helyes elhelyezésén keresztül vezet gyors felépítéshez.

Egyszerűsített rétegzés

– Biodinamikai analízis- Funkció analízis

– Biokonstrukció a belső elemek felépítésén keresztül- “kúp technika” kompozittal

– Egy moláris fog, 16 felépítése – a belső elemek orientációja- A belső elemek rétegzése

– Biomechanikai szabályok a dentinmag orientációja tekintetében

– A sulcus kiala kítása

– A kompozit felszín kezelése – polírozási protokoll

Részvételi díj: 80 000 Ft (elővételben)

Jelentkezés: dentalworld.hu

23
Danielle Rondoni

Élményhelyszínek a Dental World kiállításon

Élő műtétek

2023-ban is a Dental World egyik kiemelkedő rendezvénye lesz az Implantológia Show az „Élő műtétek” bemutatásával. Jövőre is az üvegfalú „látványműtőben” felkért orvosok végzik majd egy-egy páciens nyilvános kezelését. A rutinszerűen alkalmazott műtéti technikák mellett új eljárásokat is bemutatnak az implantológia repertoárjából.

Fogorvos/Fogtechnikus tanulóverseny

Az orvosi verseny résztvevői az ország négy, fogorvosi képzést nyújtó egyeteméről érkeznek, ahol belső versenyeken választják ki azt az egyetemenként 3-3 indulót, akik a Dental World-ön mérik össze tudásukat. Minden versenyző ötöd éves egyetemi hallgató, és nyereményük többek közt egy út Leuven-be, a GC központjába. A fogtechnikus tanulók részére 2023-ban már 12. alkalommal megrendezésre kerülő Győztesek Versenyére a Protetika Verseny győztese, az Országos Mintázó Verseny legjobbjai és az Ipartestület által rendezett Kerámiás Verseny helyezettjei kapnak személyes meghívást. A 12 magyar tanuló számára az idei évben is nagy kihívás a szakma egésze előtt, a Dental World szakkiállításon bemutatni képességeiket, szakmai elhivatottságukat.

Live Demo

2023-ban ismét a kiállító tér sugárútján kap helyet a Live Demo.

4 különböző programot szervezünk az alábbi témakörökben:

• Endodontia&Esztétika

• MicroWorld&Lézer

• Fogtechnika

• Oralszkenner

AlphaBio Buborék bár

Flexi kávézó

Dental Lounge

Várjuk szeretettel 2023-ban is!

Dental World Kongresszusok

Digitális Fogászati Kongresszus: 25 000 Ft (teljes ár: 50 000 Ft)

Prevenciós, Földvári Imre Kongresszus: 16 000 Ft (teljes ár: 28 000 Ft)

Praxismenedzsment Kongresszus: 16 000 Ft (teljes ár: 28 000 Ft)

Platina szponzor:

Vegye meg most kongresszusi jegyét a dentalworld.hu oldalon Ultra Early Bird 40% kedvezménnyel!*
ESZTÉTIKA • ENDODONTIA • ORTHODONTIA • IMPLANTOLÓGIA KONGRESSZUSI JEGYÁRAK 1 VÁLASZTOTT KONGRESSZUS: esztétika / implantológia / endodontia / orthodontia ALL ACCESS mind a 4 témakörű kongresszusra belépést biztosít KEDVEZMÉNYES ÁRAK HATÁRIDEJE ULTRA EARLY BIRD 2023. 06. 04-ig 60 000 Ft 90 000 Ft EARLY BIRD 2023. 07. 31-ig 70 000 Ft 105 000 Ft LATE BIRD 2023. 08. 31-ig 80 000 Ft 120 000 Ft LAST MINUTE 2023. 09. 30-ig 90 000 Ft 135 000 Ft TELJES ÁR 2023. 10. 01-től 100 000 Ft 150 000 Ft
*A kedvezmény 2023. június 4-ig érvényes
3 napos konferenciák:

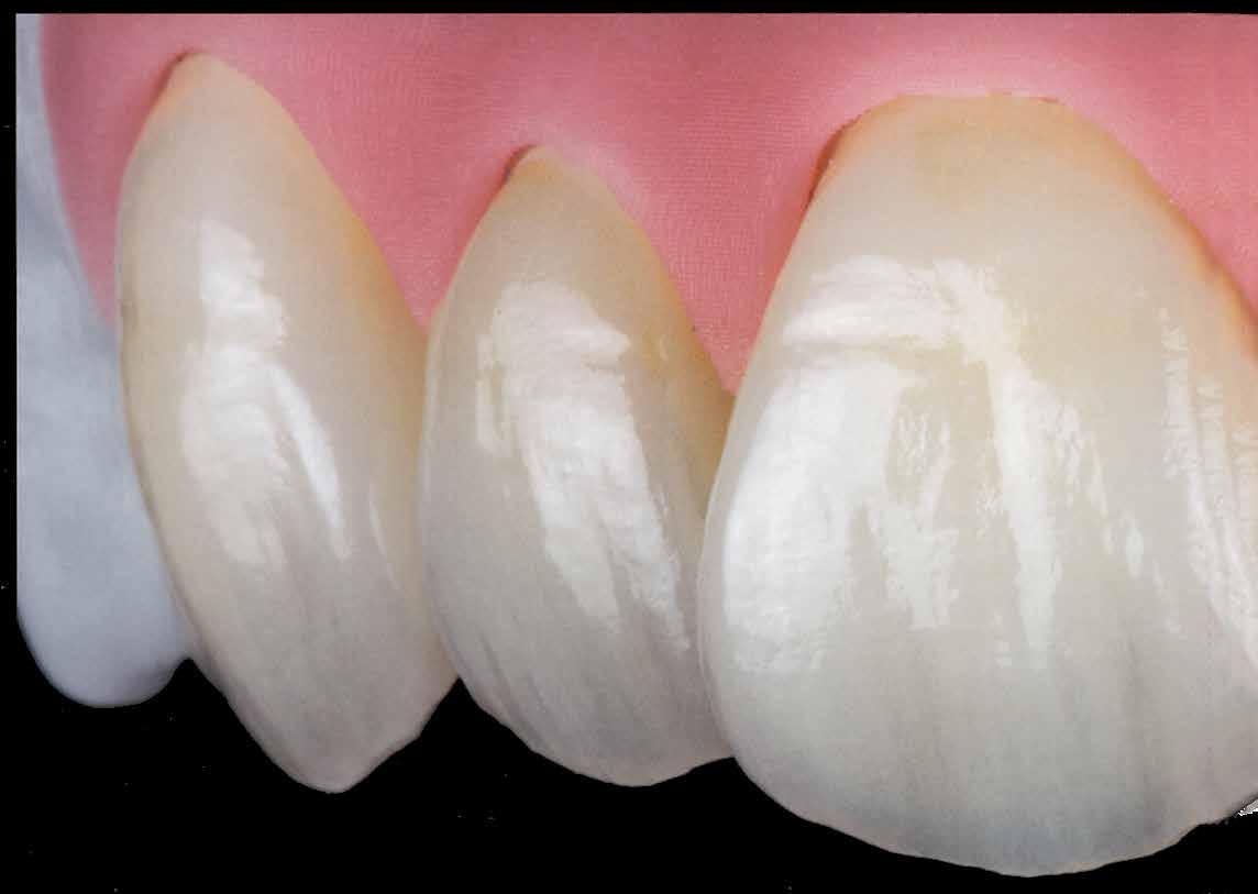
ILYEN GAZDASÁGOS A „PRÉSELÉS”

Kifutott a préstechnika? Nem – mondja szerzőnk, Axel Seeger. Cikkében mutatja be, miért használja szívesen ezt az eljárást.

Előnyben részesítem a préselést, mert különlegesen gazdaságos módszer és technológia esztétikus fogpótlás készítésére. Akkor is, ha manapság nagy szerepet játszanak a számítógépek és marógépek a fogtechnikában, és sok munkafolyamatot leegyszerűsítenek. Mely technikát mikor használjuk, egy kicsit a laboratórium méretétől is függ.

Mi szól még a préstechnika mellett? Az előmelegítő és a préskályha szinte minden laborban rendelkezésre áll. És nem keletkeznek újabb költségek az új szoftverek miatt.

Rengeteg préskerámia ismert: minden anyagnak megvan a maga létjogosultsága. És minden laboratóriumnak vannak kedvencei. Melyik anyagot használjuk, függ a megoldandó esettől is. Az elmúlt években igényesebbekké váltak a beágyazó anyagok is. A vákuumkeverő gép technikája is jelentősen befolyásolja a végeredmény sikerét. Az én favoritjaim a Celtra Press jóval 520 Mpa felett és az Ambria 500 Mpa körül. Melyik préskályhát használom? 12 éve az Ivoclar EP 5000-sel dolgozom. Egyszerűen kezelhető, és megbízható.

20 e-Journal FOGTECHNIKA
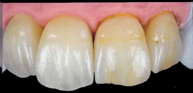
Fiatal frontfogak – régebbi gyakorlómunkák, préskerámiából készítve, csak festve
21 VI. ÉVFOLYAM – 2023. 7. SZÁM
22 e-Journal FOGTECHNIKA
A megfelelő présanyagokat és beágyazót alkalmazva (a préselés hőmérséklete is döntő fontosságú) szinte semmilyen reakciós réteg nem keletkezik. Viaszkoronák. A GC LiSI. A VITA Zahnfabrik Ambria. A Dentsply Sirona Celtra Press.
NE MARADJON LE! Promóció érvényes: 2023. június 15. Exkluzív Ajánlat! OP 2D Pan vagy 3D CBCT vásárlására! 14.750.000.- Ft + Áfa 15.940.000.- Ft + Áfa 9x11 FOV 9x14 FOV 2D Pan 5.275.000.- Ft + Áfa 1122 Budapest, Ráth György u 60 Tel: +36304754140,+36304754142 www bardecokft hu, info@bardecokft hu (5.700.000.- Ft + Áfa) (16.750.000.- Ft + Áfa) (18.440.000.-Ft + Áfa)

A kibontást követően nincs reakciós réteg.

Make it your own monolithic way – a szakkönyv számos gyakorlati esetet dolgoz fel.

Forrás: Das Dental Labor 2020/12

24 e-Journal FOGTECHNIKA
3 mm-es viasszal csapozva. A Renfert Twister Evolution a homogén keverési eredményért. Beágyazás ecsettel. A beágyazó lassú felöntése. Ivoclar EP 5000 préskályha. Befejezett préselés.
LÉZERSZINTEREZETT VÁZAK 24 ÓRÁN BELÜL •Gazdaságosság •Pontosság •Homogenitás •Gyorsaság www.lezerszinter.hu INGYENES SZÁLLÍTÁS! Próbamunkával kapcsolatban hívja a +36 20 366 1080-as telefonszámot!

Klinikai fotó egy évvel a PANAVIA V5-tel történő

állapotát látjuk, semmi jele gyulladásnak vagy vérzésnek.

juk a gingiva szintjét anélkül, hogy parodontológiai sebészeti koronák alakja lehetővé tette az interproximális terek

beragasztás

beragasztás után. A marginális szövetek jó klinikai vérzésnek. A BOPT lehetővé teszi számunkra, hogy optimalizálsebészeti beavatkozáshoz folyamodnánk, miközben az új terek zárását az optimális esztétikai eredmény érdekében.

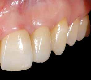
ÚJ PARADIGMA AZ ESZTÉTIKAI HELYREÁLLÍTÁSBAN

Fontfogak esztétikai helyreállítása KATANA™ UTML teljesen anatómikus koronákkal, vesztibuláris leplezéssel és Biológiailag

Orientált Preparálási Technikával (BOPT)

28 e-Journal FOGTECHNIKA
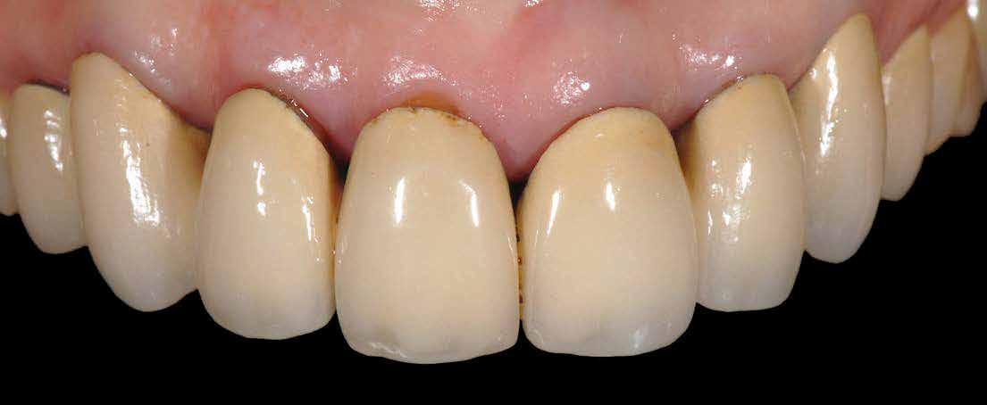
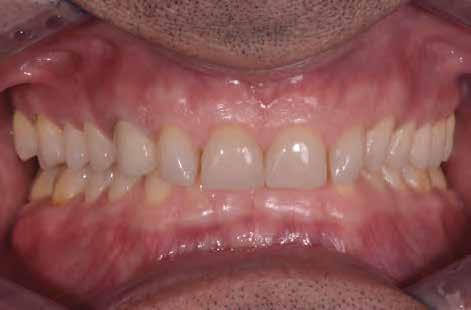
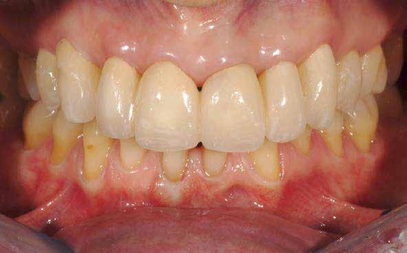
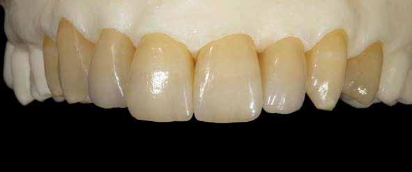
Dr. Marco Nicastro (Olaszország) A kiindulási állapot és a végeredmény. A KATANA™ UTML kiváló esztétikai tulajdonságokkal rendelkezik, és tökéletesen, harmonikusan illeszkedik a rózsaszín szövetekkel.

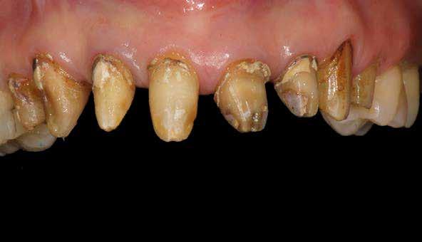
1. ábra: A beteg esztétikai problémájára kért megoldást a régi restaurációk természetellenes megjelenése, továbbá a múltban lezajlott periodontitis következtében kialakult fekete háromszögek miatt. A szövetek visszahúzódása következtében a fogpótlás széle jól láthatóvá vált, a papilla csúcsok elvesztése és a koronák közötti számos fekete térrel együtt, komplex terápiás ellátást igényelt.

2. ábra: A parodontális problémák nem sebészeti kezelési terve a következőkből állt: fogkő-eltávolítás és gyökérsimítás, a korábbi rögzített fogpótlás cseréje, a marginális szövetek helyreállítása, és egy új, esztétikailag kedvezőbb gingivális szerkezet helyreállításának megkönnyítése.

Funkcionális szempontból úgy döntöttünk, hogy redukáljuk a mély frontharapást, a korrekt overjet/overbite arány helyreállításához. A redukció esztétikai szempontból is fontos volt, hogy lehetővé tegye számunkra a különböző alkotóelemek helyes kialakítását.

4. ábra: Mielőtt elkezdjük a parodontális kezelést, általában eltávolítjuk a régi fogpótlásokat, és először egy ideiglenes pótlást készítünk, hogy olyan környezetet teremtsünk, ahol a lágy szövetek gyógyulni tudnak. Ha a cement-zománc határon kell dolgoznunk, a csonkok előkészítésénél előnyben részesítjük a tangencionális preparálást, és az ideiglenes fogpótlás célja a dr. Loi BOPT módszerével a marginális szövet kondicionálása.

5. ábra. A BOPT esetén a csonk tangencionális előkészítése során a lezáró vonal a gingivális szulkuszba terjed. Az ideiglenes fogpótlás által a szövetek átmeneti kondicionálása lehetővé teszi számunkra, hogy bizonyos mértékig módosítsuk a gingivális ívek szintjét.

6. ábra: A bal oldali kép a szövetek klinikai gyógyulását mutatja egy hónappal a kiindulási parodontális kezelés után. Az ideiglenes fogpótlás a szövetek kondicionálásának eszköze, amely módosítja a marginális szövet szintjét és alakját. Miután az interproximális terek a megfelelően illeszkedő koronákkal kitöltődnek, a végleges fogpótlással még tovább fognak csökkenni.

29 VI. ÉVFOLYAM – 2023. 7. SZÁM
3. ábra:

7. ábra: Az ideiglenes fogpótlás helyes kezelése elengedhetetlen a szövetek gyógyulásához. Behelyezése – a parodontális kezelés előtt – lehetővé tette számunkra, hogy megteremtsük a megfelelő környezetet a teljes gyógyuláshoz. A tangencionális előkészítés pedig biztosítja számunkra a marginális gingivális szövet fokozatos kondicionálását, szükség esetén az ideiglenes fogpótlás meghosszabbításával vagy redukálásával.

8. ábra: A tangencionális előkészítés egyik előnye, hogy a végső lenyomatvétel egyszerű, mert a vízszintes lezáró vonal hiánya jelentősen leegyszerűsíti az eljárást. Másrészről a BOPT a preparáció szubgingivális részének lenyomatát is igényli. A fogtechnikusnak kell eldöntenie a fogpótlás marginális alakját a gingivális vonal helyzetének megfelelően, a fogorvossal történt konzultáció és az ideiglenes fogpótlással elvégzett vizsgálatok alapján.

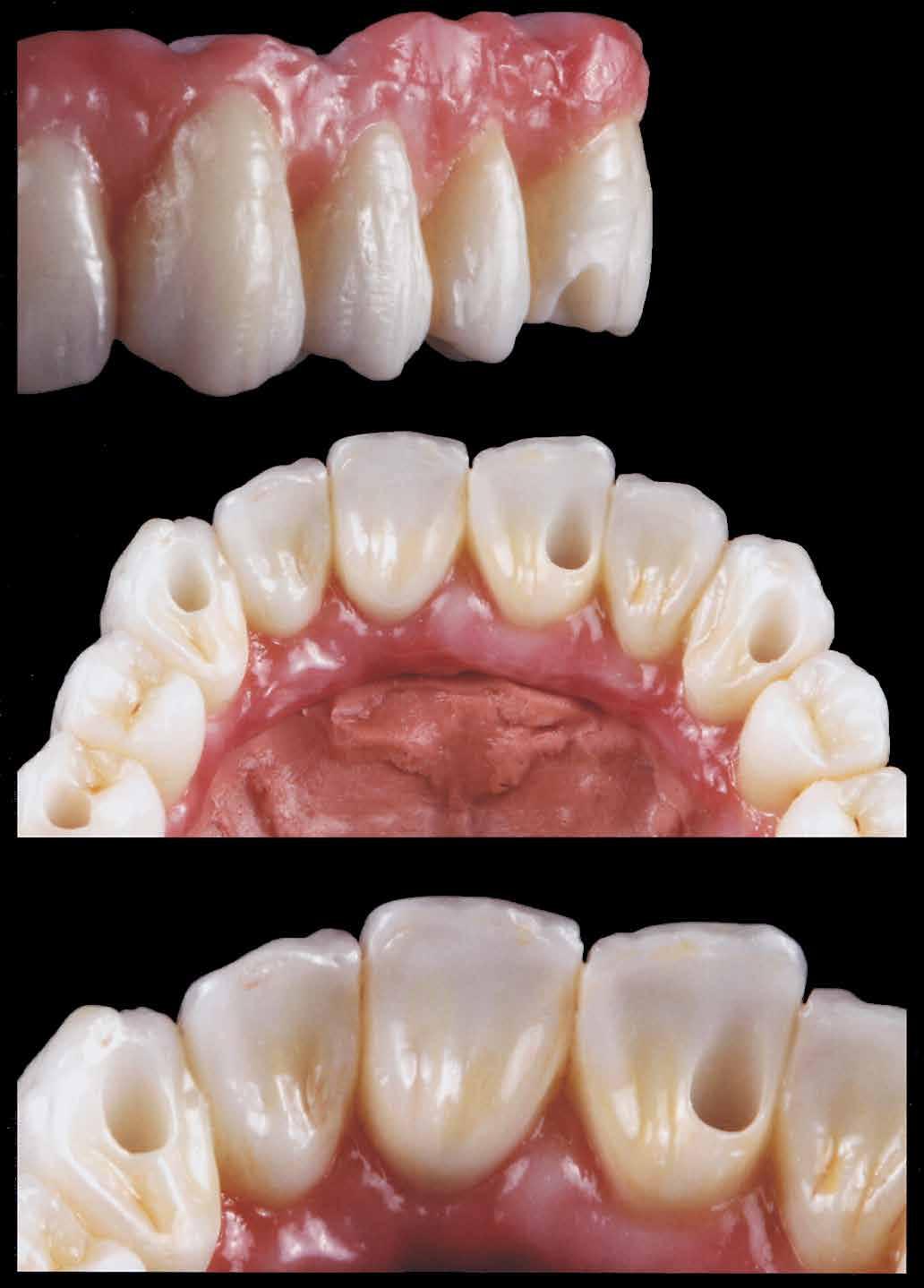
9. ábra: A modell kiöntése után előkészítettük a gingivális terület hozzáillesztését a fogíny ívének ideális konfigurációjához.

10. ábra: A viaszmodell elkészítése után kiértékeltük, hogy a gingivális zenit szintjének magassága tovább javítható-e. Ez a fotó azt mutatja, hogy a 2.1-es fog gingivális szintje még nem ideális, ezért ezt disztálisan kiterjesztettük.

11. ábra: Miután a viaszmodell elkészült, kivettük az elemeket a modellből, és kiértékeltük a szélek elállását. Miután hozzáillesztettük a gingiválisan kiálló széleket a preparálás tetszőleges széléhez, azután kezdtük el beszkennelni és kifaragni a koronákat.

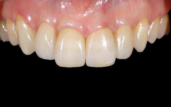
12. ábra: A fogpótlást a KATANA™ UTML cirkóniumalapú, új köbös formulájú cirkónium-oxidjából készítettük el. Ezt az ultra áttetsző anyagot azért választottuk, mert mi is világos és nem elszíneződött csonkokkal dolgoztunk.

30 e-Journal FOGTECHNIKA

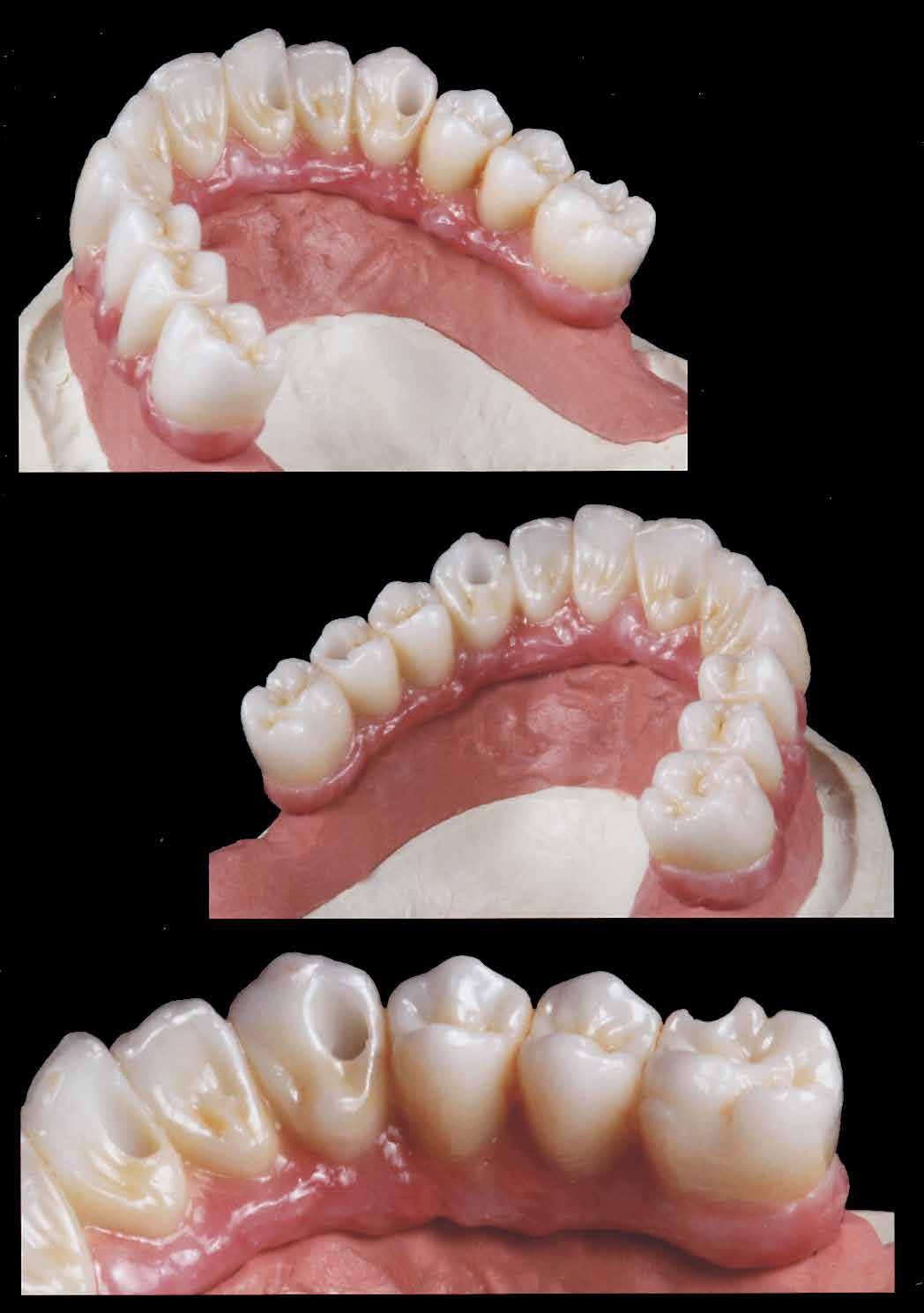
A 10 éves Alpha Implant Kft. a hagyományos munkafolyamatok mellett a digitális workflow minden lépésére megoldást kínál. A digitális technika fejlődése a fogászati piacon is egyre nagyobb teret hódít. Ebben nyújt

segítséget a 6 lépésből álló Alpha Digital Workflow, amely az intraorál scanneléstől a kész fogmű behelyezéséig terjed. Ne zárja magát keretek közé, lépjen az Alpha Implant Kft.-vel a Digitális Szabadság Világába!

ÜDVÖZÖLJÜK
IMPLANTÁTUM
IRÁNYÍTOTT SEBÉSZET
A DIGITÁLIS SZABADSÁG VILÁGÁBAN!
PROTETIKAI FELÉPÍTMÉNYEK +36 1 353 9090 | info@alphaimplant.hu | www.alphaimplant.hu
INTRAORAL SCANNER CIRKON TÖMB
3D NYOMTATÓ REGIONÁLIS KÉPVISELŐ:

13. ábra: A koronák befejezéséhez szituációs lenyomatot vettünk, hogy elősegítsük az adaptációját az ínyhez, a retrakciós fonalak használata miatt ugyanis volt néhány eltérés a szöveteknél az első lenyomathoz képest. A koronákat CZR FC színezőpasztával színeztük és vontuk be.

14. ábra: Az elkészített felületi színek és az enyhe kontraszt ezen a kék szűrővel készített fekete-fehér képen nagyon jól látható.

15. ábra: Ezen a transzlucens képen láthatjuk a KATANA™ UTML természetesen áttetsző hatását, valamint a láthatatlan fúziót a csonkok és koronák között.

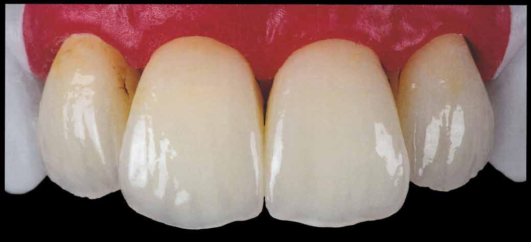
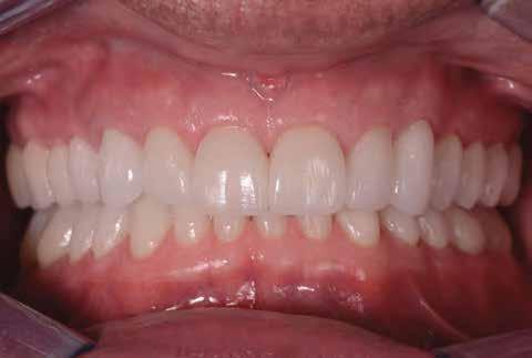
16. ábra: Klinikai fotó egy évvel a PANAVIA V5-tel történő beragasztás után. A marginális szövetek jó klinikai állapotát látjuk, semmi jele gyulladásnak vagy vérzésnek. A BOPT lehetővé teszi számunkra, hogy optimalizáljuk a gingiva szintjét anélkül, hogy parodontológiai sebészeti beavatkozáshoz folyamodnánk, miközben az új koronák alakja lehetővé tette az interproximális terek zárását az optimális esztétikai eredmény érdekében.

17. ábra: A fogpótlás világossága (főleg a transzlucentes cirkónium használatának köszönhetően), a metszők alakjával kombinálva nagymértékben javította a pótlás esztétikáját, még akkor is, ha a kiindulási helyzet különösen kedvezőtlennek tűnt.

18. ábra: Az előző fogpótlással összehasonlítva a metszők redukálása nem csak azt tette számunkra lehetővé, hogy optimalizáljuk a funkcionális fázist az overjet csökkentésével, hanem lehetővé tette a még esztétikusabb eredmény elérését azzal, hogy a metszők élének kontúrjával követni tudtuk az alsó ajkat.

32 e-Journal FOGTECHNIKA
CSAK SZÍNEZZEN Esthetic Colorant Esztétikus színezők a a “KATANA™ Zirconia”-hoz Forgalmazza New York Dental Kft. H-1135 Budapest, Frangepán utca 66/B. Telefon +36 (1) 236 40000 www.newyorkdental.hu vevoszolgalat@newyorkdental.hu N E W YORK DEN T A L

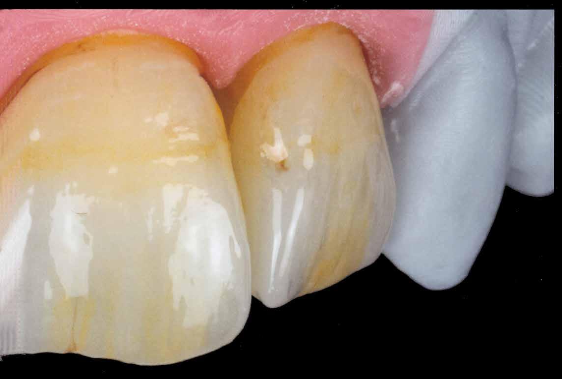
TÖKÉLETES FESTÉS –A PONTOSSÁG AZ ADU

A frontfogak alfája és ómegája a forma és felület kialakítása. Ezt a virtuózok – mint Axel Seeger –pontosan tudják. A februári füzetben bemutatta a szerző, hogyan dolgozza ki átlátható csiszolóeszközkészlettel a monolitikus munkák felszínét. Axel Seeger most bemutatja, hogyan fest meg egy dokumentált tanfolyami munkát.

Akárcsak a felületkidolgozásnál, a festésnél is nagyon pontos munkamenetet követek.

A kidolgozást és alapos tisztítást követően a koronák készen állnak a színezésre.

A „Make it your own monolithic way” című szakkönyv sok élő esetet mutat be monolit frontrestaurációkról.

34 e-Journal FOGTECHNIKA
AlliedStar AlliedStar AS 100 AS 100 vezetékes és vezetékes és AS 200E AS 200E wireless wireless Intraorális Szkenner Intraorális Szkenner www.bardecokft.hu info@bardecokft.hu +36304754140 AS 100 vezetékes IOS tavaszi akciós ára: AS 100 vezetékes IOS tavaszi akciós ára: 3.490.000.- Ft 3.490.000.- Ft + Áfa!!!! + Áfa!!!! AS 200E wireless IOS tavaszi akciós ára: AS 200E wireless IOS tavaszi akciós ára: 4.715.000.- Ft 4.715.000.- Ft + Áfa!!!! + Áfa!!!!
36

A tényleg jó eredmény eléréséhez két színező- és egy glazúrégetésből indulok ki. Az első égetéssel a meziális és disztális területeken alakítok ki kék-szürke keverékkel mélységet. A fognyakon melegebb tónusokat alkalmazok.

A második égetéssel megerősítem ugyanazokkal a maszszákkal az első lépést. Dekema 220 kályhával dolgozom. Kicsi, nagyon felhasználóbarát és 30 éve bevált égetési pontosságot és minőséget képvisel.

37
38

A glazúrégetés paraméterei a fogak struktúrájától függenek. Erősen strukturált fiatal fogaknál rövidebb hőntartási idővel dolgozom, mint a simább felszínű idősebb fogaknál.

A glazúrmassza megfelelő adagolásától függően fontos olyan kályha használata, amelyik alacsonyabb hőmérsékleten is kiemelkedően pontos – mint a Dekema 220-as.

39
40
Különösen fiatal fogaknál (a szerkezet miatt) fontos pontos égetési eredmény elérése.
41
42
Zárókép idősebb frontról
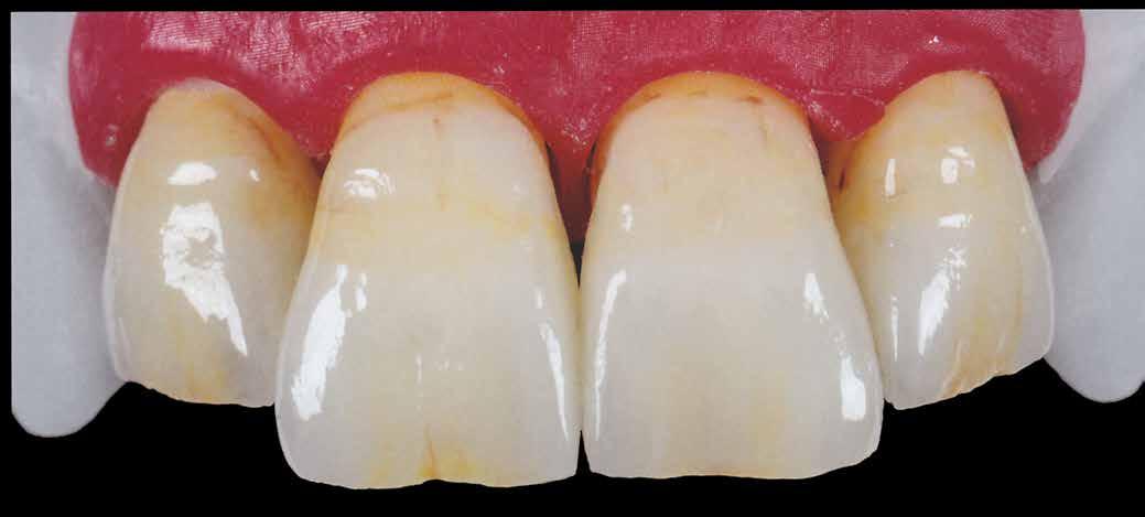
43 Forrás: Das Dental Labor 2021/3

A fogorvostudomány területén bekövetkezett fejlődés eredményeként lehetővé

problémákat is megoldhatunk, mint a harapási magasság csökkenése miatt

szükségesek ahhoz, hogy egyértelműen ki tudjuk jelenteni, hogy a harapási

konysága megegyezik vagy meghaladja a hagyományos analóg munkamenetét.

tett végleges restaurátumok hosszú távon is megbízható

lehetővé vált a teljesen digitális munkamenet. Ennek a segítségével olyan miatt bekövetkezett funkcióvesztés. Azonban még további klinikai vizsgálatok harapási magasság helyreállítása esetén alkalmazott digitális munkamenet hatémunkamenetét. A későbbiekben még értékelni kell, hogy a digitális technikával készímegbízható módon viselik a folyamatos funkcionális terhelést.

HARAPÁSEMELÉS DIGITÁLIS TECHNIKÁVAL

Az orális szkennerek, a digitális mosolytervezés és a CAD/CAM technológia együttes alkalmazása

Bevezetés

Az orális szkennerek és a szoftveres háttér utóbbi években bekövetkezett fejlődésének köszönhetően egyre több fogászati munkafolyamat területén figyelhetjük meg a digitalizáció térnyerését. Ennek a fejlődésnek köszönhetően jelentős mértékben javult a fogorvos-fogtechnikus közötti kommunikáció hatékonysága. A digitális mosolytervezés (Digital Smile Design, DSD) egy olyan virtuális eszköz, amely segítségével megtervezhetjük az arc szimmetrikus és esztétikus megjelenése helyreállításának a menetét. Ez a módszer nem csak a különböző szakterületek képviselői közti kommunikációt javítja,

hanem lehetővé teszi, hogy összességében lényegesen jobb végeredményt érjünk el a rehabilitáció során. A mosolytervezés dokumentációja fontos lépés, akár a 2D-s, akár a 3D-s tervezésről van szó, valamint ennek jelentős szerepe van a rehabilitáció kimenetelének szempontjából is. Ezt a folyamatot akár teljesen digitális módszerekkel is el lehet végezni. A mozgóképpel történő dokumentáció előnye abban rejlik, hogy így sokkal egyszerűbbé válik a kiindulási állapot dokumentációja, a mosolytervezés, az arc szimmetriájának kiértékelése, a kezelési terv elkészítése, továbbá hatékonyabbá lehet tenni a fogorvosi team-en belüli kommunikációt és a páciens bekapcsolását a folyamatba.

A digitális mosolytervezés eredményét át lehet alakítani hagyományos vagy virtuális modellé, ami egyszerűbbé teszi az eltervezett kezelések végrehajtását, például egy CAD/CAM technológiával készült pótlás elkészítését. Az adhezív rendszerek és a fényáteresztő anyagok együttes használata lehetővé teszi a minimál invazív preparációs technika alkalmazását. A lithium-diszilikáthoz hasonló anyagok esztétikai tulajdonságai a saját fogakhoz hasonló megjelenést kölcsönöznek a restaurátumoknak, ami jelentős mértékben hozzájárul az esztétikus végeredményhez.

Az orális szkennerek fontos részét jelentik a digitális munkafolyamatoknak Ezek az innovatív eszközök lehetővé teszik, hogy a lenyomatok minőségét közvetlenül ellenőrizhessük, valamint, hogy az így elkészített „mintát” egy e-mail segítségével egyszerűen,

46 e-Journal FOGTECHNIKA
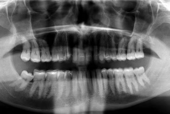
gyorsan és költség - Dr. Miguel Stanley, dr. Ana Gomes Paz, dr. Inês Miguel (Portugália) Dr. Christian Coachman (Brazília) 1. ábra: Kiindulási állapot (frontális irányból). 2. ábra: A kiindulási állapotról okkluzális irányból készített felvétel (felső állcsont). 3. ábra: A kiindulási állapotról okkluzális irányból készített felvétel (alsó állcsont). 4. ábra: A kiindulási állapotról készült panorámaröntgen felvétel (2015).

hatékonyan továbbítsuk a fogtechnikai laboratóriumba. Fontos azonban megjegyezni, hogy jelenleg nem áll rendelkezésre elegendő szakirodalmi adat, amely megerősíti, hogy az orális szkennerek segítségével lehetséges a rendkívül pontos és részletgazdag lenyomatok készítése. A CAD szoftver elengedhetetlen része a digitális fogászatnak. Ezeknek a programoknak a segítségével alakítjuk ki a virtuális térben azokat a restaurátumokat, amelyeket később teljesen automatizált gépek készítenek el a valóságban.

Ebben a cikkben egy olyan esetet ismertetünk, ahol a kezelés során alkalmazott munkafolyamatokat digitálisan végeztük el. Minimál-invazív preparációt követően – digitális mosolytervezés alapján – lithium-diszilikát tömbökből monolitikus héjakat és koronákat készítettünk CAD/CAM technológia felhasználásának segítségével. Az elkészült restaurátumok segítségével helyreállítottuk az elvesztett harapási magasságot, valamint megszüntettük az ebből adódó esztétikai hátrányokat és az emiatt kialakult temporomandibuláris ízületi diszfunkciót.

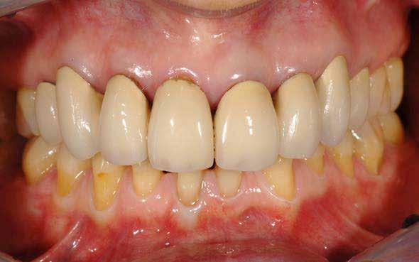
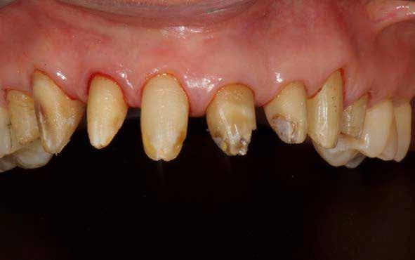
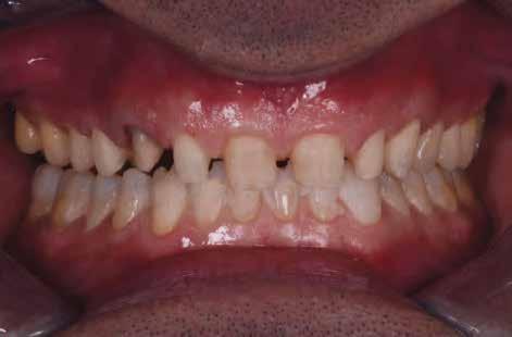
Esetbemutatás

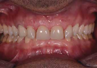
2015-ben egy 47 éves férfi páciens állkapocs-ízületi panaszai miatt kereste fel a rendelőnket. Ezen felül esztétikai problémát jelentett számára, hogy az egyik felső nagymetszőfogán lévő héj eltört (1-3. ábrák). A klinikai és radiológiai vizsgálatot követően megállapítható volt, hogy a páciens kifejezett bruxizmusa miatt csökkent a harapási magassága, és jelentős mennyiségű saját foganyagot abradált el (4. ábra)

Szájterpesz használata mellett digitálisan intraorális fotók készültek a páciensről mind frontális, mind laterális és okkluzális irányokból. További fotók is készültek a páciensről egy digitális tükörreflexes kamera segítségével (frontális és laterális irányból, valamint 45 o-os szögből). Mindkét állcsontról digitális lenyomat készült egy intraorális szkenner segítségével (Care stream 3500). A maximális-interkuszpidációs helyzetet (IKP) szintén a Carestream 3500-as készülék felhasználásával rögzítet -

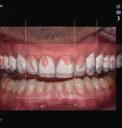
ábra: A mosolytervezéshez szükséges felvétel. A mosolygó páciensről az ajak- és a bucca eltartásával készített fotó.

tük. Az új harapási magasságot a CAD/CAM szoftverben létrehozott virtuális artikulátor általunk meghatározott mértékig történő nyitásával határoztuk meg.

A kiindulási helyzet rögzítésére a DSD dinamikus dokumentáció protokollját használtuk. Egy okostelefon segítségével 4 különböző szögből videókat készítettünk, hogy később ezek alapján ki tudjuk alakítani a páciens legoptimálisabb mosolyát. A következő felvételek készültek: frontális irányú a mosolygó páciensről az ajkak és az orca eltartásával, majd az eltartásuk nélkül, továbbá oldalirányú felvétel, egy a homloktól az állcsúcs irányába mutató, és egy az okklúziós síkra merőleges irányból készült, illetve egy záró harapási helyzetben lévő hátsó fogakról (tükör nélkül).

Négy kiegészítő felvétel készült az esztétikai, a funkcionális és az anatómiai kiértékeléshez: egy videó arról, ahogy a páciens leírja az általa elérni kívánt állapotot, egy 180 o-ban, beszéd közben készült felvétel, egy funkcionális elmozdulásokról készült intraorális videó, továbbá egy ajak és orca eltartása mellett készült intraorális felvétel a szájüregben található anatómiai struktúrákról (5. ábra) . Az így nyert adatokat továbbítottuk a DSD-t készítő laboratóriumnak. A DSD technika célja, hogy kombinálja a három különböző irányból készült felvételt (frontális, oldalirányú és fentről lefele mutató)

47 VI. ÉVFOLYAM – 2023. 7. SZÁM
5. 6. ábra: Demonstrációs céllal bisz-akrilátból készített mock-up (Structur 3). 8. ábra: Az őrlőfogak esetében nem volt szükség foganyag elvételre. Az alsó metszőfogak minimál invazív módon lettek előkészítve, a felső frontfogak esetében megőriztük az eredeti csiszolt csonkok formáját. 7. ábra: Két évvel később, a végleges helyreállítás megkezdése előtt készített felvétel (2017).

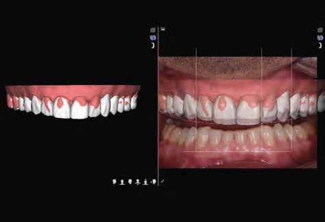
egy digitális vonalzóval, annak érdekében, hogy meg lehessen határozni az optimális mosolyhoz szükséges arányokat a videófelvételek kiértékelése során (smileframe).

A mosolykeret (smileframe) elkészítéséhez a következő adatokat kell figyelembe venni: az arc szimmetriatengelyét, a digitális arcívet, a mosolyvonal helyzetét és lefutását, az esztétikus megjelenéshez szükséges szélesség meghatározásához az optimalizált foga -

zati arányokat és fogméreteket, a marginális gingiva lefutását, az ajakpír lefutását és az állkapocs alakját. Az így meghatározott kétdimenziós adatok és a CAD program segítségével létrehoztunk egy háromdimenziós virtuális modellt. Az így kapott 3D-s adatokat tartalmazó STL fájlt egy háromdimenziós nyomtatóra továbbítottuk, ami elkészítette a páciens új mosolyához szükséges mintát. Ezt arra használtuk, hogy a minta alapján készített szilikonsablon segítségével

-

48 e-Journal FOGTECHNIKA
bisz-ak
2.4-2.7, 3.7-3.1,
9. ábra: Digitális mosolytervezés. 11-12. ábrák: Az elkészült koronákat (1.3-1.1,
2.1-2.3),
valamint a héjakat (1.7-1.4,
4.1-4.7)
fényre kötő adhezív rendszerrel rögzítettük a pillérfogakhoz (Futurabond U and Bifix QM). 10. ábra: A végleges héjakat és koronákat Ceramill Mind tervező program segítségével digitálisan terveztük meg, majd frézgép segítségével (CeramillMotion 2, lithium-diszilikát tömbökből (VITABLOCS TriLuxe forte) faragtuk ki. 13-14. ábra: A végleges pótlások átadása után készült felvételek.
Scan body Titán felépítmény Csavarozható megoldás KIZÁRÓLAGOS MAGYARORSZÁGI FORGALMAZÓ EREDETI GYÁRI FELÉPÍTMÉNYEK CAD/CAM RENDSZEREKHEZ Alpha Implant Kft. / 9400 Sopron, Deák tér 45. +36 1 353 9090 / info@alphaimplant.hu / www.alphaimplant.hu

rilátból(Structur 3, VOCO) elkészítsük a demonstrációs célokat szolgáló mock-upot (6. ábra)

A páciens harapási magassága az új minta alapján megemelésre került. A páciens két héten keresztül viselte az általunk elkészített mock-upot, hogy ki tudjuk értékelni a harapásemelés objektív és szubjektív hatásait. Ez alatt az idő alatt a páciensnek lehetősége volt eldönteni, hogy az új harapási magasság megfelel-e az ő elvárásainak. Az ideiglenes felépítés viselése során a páciens jónak ítélte meg az új okklúzióját, és elégedett volt a kapott eredménnyel. Ezért nem volt szükséges a habituális okklúziós helyzet további megváltoztatására és új centrális okklúziós helyzet kialakítására. A páciens megfelelőnek találta az újonnan kialakított harapási magasságát, továbbá nem érzett temporomandibuláris ízületi fájdalmat.

A kapott eredmények alapján elkészítettük a végleges kezelési tervet, de a páciens anyagi okok miatt nem kívánta a kezeléseket folytatni.

A páciens a megkezdett kezelések folytatása miatt 2017ben ismét felkereste a rendelőnket (7. ábra). Ekkor egy új intraorális lenyomatvétel történt (Carestream 3600).

A fogak preparálásához egy új mock-upot készítettünk háromdimenziós nyomtató segítségével (SolFlex, VOCO) bisz-akrilátból (Structur 3). A mock-up elkészítéséhez felhasznált sablont vákuum technológia segítségével hoztuk létre (V-Print ortho, VOCO). A mock-up felhelyezését követően a páciens fogait minimál invazív módon készítettük elő (8. ábra).

A már előzetesen preparált felső frontfogak csiszolt csonkjainak megtartottuk az eredeti formáját. Az alsó és felső őrlőfogak preparációja nem volt szükséges (1.7-1.4, 2.4-2.7, 3.7-3.4, 4.4-4.7), az alsó kismetsző fogakat minimál invazív módon készítettük elő. Az előkészítést követően új digitális lenyomat készült. Az így kapott digitális adatokat továbbítottuk a fogtechnikai laboratóriumba (9. ábra). A virtuális modellt ezek alapján hozták létre (AnatomicLab), és a minta elkészítéséhez szükséges STL fájlt továbbították egy háromdimenziós nyomtatóra (SolFlex 650, VOCO), amely segítségével elkészítették az új mintát (V-Print model, VOCO).

A végső restaurátumokat (héjakat és koronákat) Ce-

ramill Mind tervező program segítségével (AmannGirrbach) digitálisan megtervezték, majd frézgép segítségével (CeramillMotion 2, AmannGirrbach) li thium-diszilikát tömbökből (VITABLOCS TriLuxe forte for CeramillMotion 2, AmannGirrbach) kifaragták (10. ábra). Miután a fogpróba során ellenőrizték és megfelelőnek találták a pótlások széli záródásának a pontosságát, valamint az elkészült restaurátumok esztétikai megjelenését, ezután egy ajak- és szájterpesz került felhelyezésre (OptraGate, IvoclarVivadent).

A pillérfogakat és a kerámiából készült pótlásokat a gyártói utasításoknak megfelelően készítették elő. A fogpótlások belső felszínét először homokfújóval (50μm-es alumínium-oxid por) felérdesítették, majd 20 másodpercen keresztül 5%-os hidrofolysavval kondicionálták. Ezután 20 másodpercen keresztül vízzel lemosták, majd 37%-os orthofoszfor-savval (Total Etch, IvoclarVivadent) és 96%-os alkohollal megtisztították, majd végül egy réteg szilánnal fedték (Monobond Plus, IvoclarVivadent).

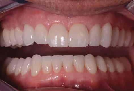
A koronákat (1.3-1.1 és 2.1-2.3) és a héjakat (1.7-1.4, 2.4–2.7, 3.7-3.1, 4.1–4.7) fényrekötő adhezív rendszerrel rögzítették a pillérfogakhoz (Futurabond U ésBifix QM, VOCO). A polimerizációhoz egy nagy teljesítményű LED polimerizációs lámpát használtak (Celalux 3, VOCO), (1112. ábrák).

A kifolyó ragasztóanyagot ezt követően eltávolították, majd az okklúziót a T-Scantechnológia (Tekscan) segítségével ellenőrizték, majd a szükséges mértékben korrigálták. A véglegesen rögzített kerámiapótlás védelme érdekében a páciensnek a továbbiakban egy kivehető, átlátszó műanyag fogvédő sínt kellett viselnie. A pótlásokat 6 hónap múlva ellenőrizték. Az át adott fogpótlások stabilan rögzültek, és nem találtunk sérülésekre, repedésekre utaló jeleket (13-15. ábrák). A páciens arról is beszámolt, hogy a harapás megemelése óta megszűntek az őt rendszeresen gyötrő fejfájásai.

Összegzés

A fogorvostudomány területén bekövetkezett fejlődés eredményeként lehetővé vált a teljesen digitális munkamenet. Ennek a segítségével olyan problémákat is megoldhatunk, mint a harapási magasság csökkenése miatt bekövetkezett funkcióvesztés. Azonban még további klinikai vizsgálatok szükségesek ahhoz, hogy egyértelműen ki tudjuk jelenteni, hogy a harapási magasság helyreállítása esetén alkalmazott digitális munkamenet hatékonysága megegyezik vagy meghaladja a hagyományos analóg munkamenetét. A későbbiekben még értékelni kell, hogy a digitális technikával készített végleges restaurátumok hosszú távon is megbízható módon viselik a folyamatos funkcionális terhelést.

Forrás: Cosmetic Dentistry; 2019: 1. 18-21

50 e-Journal FOGTECHNIKA
15. ábra: A végleges pótlások átadása után készült panorámaröntgen felvétel.

a 3D fémnyomtatásban

• 250 W lézer

• 40µm – 250 µm spot

• Munkaterület mérete: Ø 110 mm – 200 mm

• CAM Software 2Build

• Alkalmas reaktív és nem reaktív anyagokhoz

17-4PH, titánium, aluminium, bronz, CoCr

Bevezetô ár: nettó 125 000 euró

Részletes árajánlattal és mûszaki tanácsadással kapcsolatban állunk szíves rendelkezésére személyesen, telefonon vagy e-mailben.

Optimális megoldás
CREATE

TÖKÉLETES FELSZÍN –STEP BY STEP

A frontfogak alfája és ómegája a forma és felület kialakítása. Ezt a virtuózok – mint Axel Seeger –pontosan tudják. Lépésről lépésre mutatja be eljárását. A lényegre való koncentrálás érdekében tudósítását fekete-fehérben készítette el. Így a szín és annak hatásai nem vonják el a témáról a figyelmet.

A kerámia frontfogak kidolgozásánál mindig ugyanaz a sorrend. Így minden lépés követhető, a csiszolókészlet áttekinthető –csak tíz eszközről van szó. Így nem cseréljük olyan gyakran az eszközöket, ami sok időt takarít meg. További pozitív mellékhatás a csekély raktárkészlet, ami ugyancsak áttekinthetőbbé teszi a költségeket.

Fokozatos munkamenet

Először ellenőrzöm az approximális kontaktpontokat okklúziós fóliával (1. kép), majd gyémántkorong (2–3. képek) segítségével becsiszolom. A labiális felület (4. kép) – mindegy, fiatalabb, vagy idősebb fogakról van szó (8–9. képek) – ugyanazt az eljárást igényli. Mindegy, lítium-diszilikát, cirkon, vagy kerámia: először gyémánttal csiszolom meg. Az idősebb fogak koronaszélét és fognyakát kidolgozom (5–7. képek)

52 e-Journal FOGTECHNIKA
1.
53 VI. ÉVFOLYAM – 2023. 7. SZÁM
2. 4. 6. 7. 5. 3.

A fiatal fogaknál becsiszolom az approximális kontaktpontokat, és a labiális felszínt (10. kép) Ceruzával megrajzolom a zománcléceket (11. kép). Az incizális él rövidítését, illetve az idősebb fogak berágott felszínének kialakítását (12–14. képek) gyémántkoronggal végzem (13. kép)

A fiatal (15. kép) és az idősebb (17. kép) fog palatinális felszínét csepp formájú gyémánttal (16. kép) dolgozom ki finoman.

Az idősebb fog berágott fazettáján lévő szekunder-dentint (18. kép) gyémánttal (19. kép) csiszolom meg. A lécek berajzolása (20. kép) segít az orientációban a helyes forma kialakításához.

54 e-Journal FOGTECHNIKA
8. 9. 10. 11. 12. 13. 14.

Gyémántokkal alakítom ki a mélyedéseket és a zománcléceket (21. kép). Ezek kidolgozásához is (22. kép) a gyémántokat használom. A fiatal fogaknál sokat segít a növekedési vonalak (23. kép) kidolgozása.

55 VI. ÉVFOLYAM – 2023. 7. SZÁM
15. 16. 17. 18. 19. 20. 21. 22.

Gyémántkoronggal (24–6. képek) lesimítok egy hegyes gyémántot (25. kép)

Ezzel a lesimított eszközzel nagyon jól ki tudom alakítani a növekedési vonalakat és a repedéseket (27–28. képek)

A gyémántos kő (31. kép) remekül simítja a labiális felületeket (29–30. képek). Végül kezdek hozzá a fiatalabb, vagy idősebb fog kialakításának (32. kép)

56 e-Journal FOGTECHNIKA
23. 24. 25. 26. 27. 28. 29.

A befejezés

A berágott felületek legtöbbször nagyon simák az idős fogakon (33. kép), ezt gumipolírozóval simítom magas fényűre (34. kép). A koronaszéleket is mindig nagyon simára kell polírozni (35. kép). A teljes csiszolókészlet tíz egységből áll (36. kép), a hatékony kidolgozáshoz öszszeállítva. A 37. képen láthatunk véglegesen kialakított fiatal, illetve idős fogat.

57 VI. ÉVFOLYAM – 2023. 7. SZÁM
30. 31. 32. 33. 34. 35. 36. 37.

Tanfolyami munkát ábrázol frontfogakkal a 38. kép: két fiatalabb és két idősebb fogat. A teljes fiatal (39. kép) és a teljes idősebb (40. kép) frontot a leírt munkafázisokkal alakítottuk ki. A négy frontfog készen van. Lehet festeni és glazúr-égetni őket (41. kép)

Forrás: Das Dental Labor 2021/2

58 e-Journal FOGTECHNIKA
38. 39. 40. 41.

A TÖKÉLETES PÁROS!

Medit T-series

Form 3B

A digitális fogászatban élenjáró két gyártó termékei remekül együttműködnek, hogy Ön még kényelmesebben és gyorsabban tudjon tökéletes végeredményt elérni, páciensei megelégedésére. Amennyiben szeretne többet megtudni a termékekről vagy érdeklődik a digitális fogászat iránt, várjuk szíves megkeresését ismert elérhetőségeinken.

9400 Sopron, Faller Jenő u. 5 | Tel.: 99/508-698 | Fax: 99/508-696 iroda@dentalplus.hu | www.dentalplus.hu BCW Irodaház . 1113 Budapest, Nagyszőlős u. 11-15. / I. emelet (Budapesti bemutatótermünkben előzetes egyeztetés alapján tudjuk fogadni Önöket!)
labor szkennerek
3D nyomtató

Rimóczy Gábor

HAGYOMÁNY

A DIGITÁLIS FEJLŐDÉS ÁRNYÉKÁBAN – A CAD/CAM

TECHNOLÓGIA ANALÓG SZEREPLŐI

Az már egyértelművé vált, hogy a fogászati CAD/CAM, a folyamatos, gyors fejlődésének köszönhetően évről évre nagyobb részt fed le a kézműves, manuális fogtechnikai munkafolyamatok területén. A 3D nyomtatás fejlesztése, a szoftveres alkalmazások bővítése ma már lehetővé teszi digitálisan készített kivehető pótlások készítését. Teljes alsó-felső protézis vagy éppen fémlemez már kivitelezhető CAD/CAM technológiával. A fémlemezes részleges kivehető megoldások teljes digitális megoldásai még váratnak magukra, de ne legyenek illúzióink (1. kép).

Akadnak azonban olyan munkafolyamatok, technológiák, amelyek megmaradtak a hagyományos analóg vonalon, mégis alkalmazkodtak a jelenlegi trendekhez, lekövetik a CAD/CAM előidézte anyagokkal és minőséggel szemben támasztott elvárásokat. A digitális munkavégzés gyártási oldalán modern, új, speciális alap- és segédanyagok jelentek meg. Ahhoz, hogy a CAD/CAM technológiával készült alapokon, vázakon, anatómikus formákon egyedileg tudjuk befejezni az adott restauráció elkészítését, az ismert kézműves munkafolyamatokhoz új fejlesztésű anyagokra van szükség, melyek kompatibilisek a digitális technológia anyagaival.

A kerámia leplezés az 1960-as években jelent meg, bár magát a porcelánt mint fogászati alapanyagot már a ’30-as évektől használták a fogászok. A leplező fémkerámiákhoz szorosan kapcsolódott az önthető Nikkel, illetve később Kobalt-Króm bázisú ötvözetek fejlesztése. A fémvázak anyagait öntéstechnológiára optimalizálták, a receptúrák megalkotása, az ötvözőelemek kiválasztása, arányaik meghatározása mind azt szolgálta, hogy bármikor ismételhető, azonos minőségben minél pontosabb és stabilabb öntési eredményt érjünk el a fogtechnikai laborban. A Kobalt és a Molibdén fokozta a stabilitást, a Szilícium összetevő kiváló öntési tulajdonságokat és megbízható öntéspont meghatározást biztosított,

míg a minimális Cerium tartalom fokozta az oxidképződést, elősegítette a leplezőkerámiával kialakítandó kötést (2. kép).

A CAD/CAM térhódításával a leplezendő fémvázak új elkészítési formái jelentek meg. A Kobalt-Króm tömbből történő marással és az additív lézerszinter eljárással készülő fémvázak esetében azonban az alapanyag eltérő a korábban megszokott önthető „fémkockáktól”. A CNC megmunkálásra fejlesztett fémtömbök marására lett optimalizálva. A napjainkban egyre inkább elterjedt „fémnyomtatás” során fémport használunk, amelynek anyagszerkezete, ötvözőelemeinek összeállítása, receptúrája a gyártási technológiához igazodik, azaz alkalmas a nagyon magas hőfokon történő lézeres olvasztásos megmunkálásra. Ha 25-35 gramm ilyen fémport beleszórunk egy öntőtégelybe, majd megöntünk belőle egy körhidat, nem várható, hogy pontos és jó eredmény születik, ha egyáltalán sikeres lesz az öntés (3. kép)

A lézerszinter vázak esetében a gyártási eljárás során azonban az ötvözet Volfrám (W) tartalma befolyásolhatja, elvi-

60 e-Journal FOGTECHNIKA
1. kép: Fogtechnika anno. 2. kép: Koronák, hidak a platformon lézerolvasztásos gyártást követően 3. kép: Kész lézerolvasztással készült körhídváz

MPS

MULTY PLATFORM SYSTEMS

Kiváló minőségű protekiai elemek minden ismert implantációs rendszerhez

PIACVEZETŐ MÁRKAKOMPATIBILIS GYÁRTÓ

Az összes ismert implantátum rendszerrel kompatibilis.

MADE IN GERMANY Tradicionálisan magas minőség.

GYORSASÁG

Idő- és pénzmegtakarítás a fogtechnikusok és a fogorvosok számára.

PRECIZITÁS

Német mérnökök és fogászati szakemberek dolgoznak együtt, hogy tökéletes protetikai rendszert alkossanak.

heti a hőtágulási együttható értékét, mégpedig úgy, hogy az eddig öntéstechnikával készült struktúrákkal kompatibilis leplezőkerámia nem működik együtt tökéletesen a fémvázzal. Emellett a szinter eljárással készült fémvázak oxidrétege jóval agresszívebb, mint öntéssel készült testvéreié. Ezek a megszokott fémvázakétól eltérő tulajdonságok a leplezőkerámia oldalán is változtatásokat indukáltak. A VITA fémkerámia technológiájának alapesetben nem része a bond használata. Ha pontosak akarunk lenni, akkor megfelelő tapadás elérését a Wash Opaker használata teszi biztosabbá, ez az anyag működik egyfajta bondként a munkafolyamatban.

A lézerszinter technológia érkezése azonban egy nagyon magas minőségű bond igényét vetette fel. A VITA lépése a problémára az NP Bond kifejlesztése volt. A VITA NP Bond pasztája tökéletes kötést biztosít a fémváz és az opaker réteg között az összes fémkerámia pótlás esetében. Kiválóan kompenzálja a lézerszinter, illetve SLM technológiával készült pótlásoknál előforduló esetleges hőtágulási együttható módosulást, kiegyenlíti a vázanyag és a leplezőanyag közti WAK érték különbséget. Meleg, halványsárgás, aranyszínbe hajló árnyalata kiváló alapot teremt a későbbi opaker és leplezés rétegekhez és magas fokú védelmet nyújt a kerámia számára az égetések során keletkező fémoxidoktól. A szintereljárással készült vázak esetében az égetések között érdemes homokfúvóval oxid-mentesíteni a koronák belsejét, és világos színek esetében a megszokottól eltérően plusz egy opaker égetést végezni.

Fémvázak készítésével kapcsolatban feltétlenül szükséges megemlíteni a 3D nyomtatással készült mintázatok öntését. (4. kép). Ez a hibrid technológia nagyon közkedvelt. Stabil, különösen sima felületű, pontos, szép vékony, egyenletes vastagságú, egyértelmű koronaszélekkel rendelkező, jól önthető mintázatokat önthetünk meg beágyazást és kitüzelést követően – feltéve, ha van hozzá beágyazó anyagunk!

A 3D nyomtatók maradványmentesen kiégethető anyagai ugyanis fényre keményedő műgyanták. A kitüzelés során hasonlóan viselkednek, mint az ismert mintázó műanyagok: 200 °C környékén megtágulnak és a térfogat-növekedés hatására megrepesztik a beágyazást. Ezt korábban a mintázat felületének leviaszolásával oldottuk meg, a viasz gyorsan kiolvadt és így volt helye megtágulni a műanyag részeknek.

A 3D nyomtatással készült vázak digitálisan lettek tervezve,

egyenletesek, homogének, szép felületük van, pont ezeket az előnyöket veszítenénk el egy gyors, elnagyolt átviaszolással, és ez megnövelné a kidolgozási időt is. Fémlemez mintázatok esetében pedig egyáltalán nem életszerű megoldás.

Az öntéstechnika területén professzionális fejlesztőnek számító BEGO új beágyazó anyagok megalkotásával kínál megoldást. Alkalmazkodva a 21. századi fogtechnikai elvárásokhoz, csakis gyorskitüzelésű beágyazó jöhetett szóba. A BEGO VarseoVest P plus fémlemez készítéshez, a BEGO VarseoVest C&B koronák és hidak beágyazásához használható. Az öszszetételükből adódóan kiemelkedő a stabilitásuk, az egyedi expanziós értékeik lekövetik és tolerálják a műgyanta tágulását, az újfajta beágyazó folyadék koncentrációjának változtatásával pedig lehetőség van a hőtágulásuk finomhangolására. A 3D-s mintázatokat csapozást követően felületi viaszolás nélkül ágyazhatjuk be a BEGO legújabb beágyazó anyagaival, melyek közül a VarseoVest C&B préskerámia készítéshez is kiválóan használható (5. kép).

A fémvázak új típusú előállítása mellett a fémmentes anyagok is folyamatos fejlődésen mennek keresztül. Korábban csak vázanyagként használt cirkon napjainkban már teljes anatómikus pótlás készítésére is alkalmas. Fokozták a fényáteresztő tulajdonságokat, felhasználási területtől függően a gyártók újabb és újabb csoportokat hoztak létre cirkónium tömb palettájukon belül. Bár ezek az anyagok transzlucenciájuk kapcsán közelítenek a leplező és fémmentes pótlásként használt kerámiákhoz, fluoresszenciájuk jóval csekélyebb mértékű, így a természetes fénynél élettelenebbek (6. kép). Cutback technológia alkalmazása mellett leplezőkerámiával egyediesíthetjük a pótlásokat, emellett festéssel, színezéssel érhetjük el a végleges esztétikájú, színazonos végeredményt. A teljes anatómikus cirkonpótlások szinterezés utáni külső festéséhez, a megfelelő fluoresszencia megvalósításához speciális színezőkre, az egyediesítéshez egyszerűen használható stabil, könnyen, átmenet mentesen rakható mikrokerámiára van szükség.

Követve a modern anyagok fejlődését és a technológiai igényeket a VITA bemutatta az Akzent Plus színező rendszert, amely a korábbi Akzent festékekhez képest színmódosító szortimentet (Chroma Stains), illetve alapszín árnyalat egységet (Body Stains) is tartalmaz. A festékek kevésbé intenzí-

62 e-Journal FOGTECHNIKA
4. kép: 3D nyomtatott fémlemez mintázat. 5. kép: 3D nyomtatással készült körhíd mintázat különleges csapozási technikával.

vek, így precízebben ki lehet alakítani az egyedi árnyalatokat, a színezők mélyre hatolnak a felületbe, ezért jóval tartósabbak, hosszú távon sem kopnak le, és fluoresszenciájuk kiemelkedő. Az Akzent Plus színező család bármely kerámia típus esetében kiválóan alkalmazható, de a gyártói törekvés fő vonala egy olyan festőkészlet kifejlesztése volt, amely tökéletes a CAD/CAM technológiával készült teljes anatómikus fémmentes végleges pótlások festésére, színezésére (9. kép). A festés és színezés anyagainak fejlesztése mellett a VITA egy vadonatúj kerámiával is jelentkezett. A VITA LUMEX AC leplezőanyag megalkotását a digitális technológiával készíthető sokszínű anyag paletta, és a bővülő felhasználási terület ihlette (7. kép). Egy olyan leplezőkerámia iránti igény

lépett fel, amely alkalmas komplett leplezések készítése mellett dentinmag koronákat, cutback technikával előkészített fél-anatómikus formákat egyediesíteni, individualizálni. Fontos volt továbbá, hogy univerzális legyen: rengeteg fajta anyag esetén használni lehessen, hogy a labornak ne kelljen számtalan különböző kerámiát készleten tartani a különböző váztípusok, és a különböző fémmentes anyagok mindegyikéhez. A VITA LUMEX AC alkalmas cirkonvázak, préskerámia vázak leplezésére, teljes anatómikus cirkonpótlások egyediesítésére, kerámia blokkból készült pótlások véglegesítésére, használható a Lítium-diszilikát struktúrákon, az IPS e. max anyaghoz kiváló, és nagyszerűen alkalmazható Ti vázak esetében is (8. kép).

63 VI. ÉVFOLYAM – 2023. 7. SZÁM
6. kép: Kerámia színezés 7. kép: VITA LUMEC AC leplező kerámia 8. kép: Stabilitás, könnyű felrakás – VITA LUMEX AC leplező kerámia 9. kép: Egyediesítés a pontos színazonosságért 10. kép: CeraPro – mikromotorral használható cirkon kidolgozó család

Az új CAD/CAM anyagok a kidolgozó eszközök esetében is komoly fejlesztéseket eredményeztek. A hagyományos keményfém frézerek, csiszolókövek, gyémánt kidolgozók és polírozók mellé megérkeztek a szinterezett cirkonvázakhoz, teljes anatómikus fémmentes pótlásokhoz használható speciális gyémántok, illetve gyémánt töltetű kidolgozó gumik, kövek. A kész cirkonok kidolgozását vízhűtéses turbinával és gyémántokkal javasolt végezni. Az anyag túlzott átmelegedése mikro-repedéseket eredményezhet az anyagszerkezetben, ilyenkor feszültség keletkezik. Ezekben az esetekben, ha az égetést követően azonnal nem is, de másnap reggelre már várhatóan lekéredzkedik róla a kerámia leplezés. A vízhűtésre főképp ezért van szükség. Az Edenta azonban olyan cirkonhoz használható kidolgozókat alkotott meg, melyek alkalmasak fogtechnikai mikromotorban történő használatra. A gyémánt szemcséket speciális kötőanyaggal kombinálták, mely az előírt nyomatékkal és forgási sebességgel történő használat során elvonja a hőt a kidolgozandó felülettől, a cirkon nem melegszik

át, és nem keletkeznek repedések. A korábbi fejlesztésű CeraPro kidolgozó család hagyományos cirkonvázakhoz, az újabb CeraTec a 900 MPa-t meghaladó szilárdságú konstrukciókhoz ajánlott, sőt, akad olyan típus is, ami kifejezetten csak fémmentes pótlások koronaszéleinek elsimítására szolgál (10. kép).

Ha valaki nagy mennyiségeket szeretne gyorsan „ledarálni”, akkor a SuperMax formáiból választhat (11. kép). Emellett természetesen megjelentek olyan szeparálók, magasfényt biztosító speciális polírozók, amelyekkel a blokkokból készült teljes anatómikus kerámia, hibrid kerámia, vagy hibrid kompozit fogpótlások befejező munkafázisait elvégezhetjük. (12. kép).

A hagyományaikról ismert családi vállalkozáson alapuló cégek, mint a BEGO és a VITA lépést tartanak a fogászat rohamos digitális fejlődésével. Mindkét vállalkozás rendelkezik CAD/CAM technológiát kiszolgáló portfólióval: a BEGO Európa egyik legnagyobb gyártóközpontját üzemelteti, emellett fogászati 3D nyomtatáshoz gyárt készüléket és alapanyagokat; a VITA úttörője a különböző kerámia, és hibrid kerámia blokk-gyártásnak (13. kép).

Mindezek mellett azonban reagáltak az új CAD/CAM anyagok által támasztott technológiai igényekre, olyan anyagokat fejlesztettek, amelyekkel nélkülözhetetlen kiegészíteni a modern kori munkavégzést, ugyanakkor követik a tradicionális kézműves szakmai vonalat.

A digitális technológia sok helyen egyszerűsíti, felgyorsítja és megkönnyíti a fogtechnikai munkavégzést (14. kép)

Azonban nem helyettesíti teljes mértékben. A manualitás, a hagyományos munkafolyamatok megmaradnak, csak más alapokra helyeződnek, a hangsúlyok máshová kerülnek, megváltoznak az arányok. Befejezni a munkát azonban csak a fogtechnikus tudja.

64 e-Journal FOGTECHNIKA
11. kép: SuperMax gyémántszemcsés kidolgozók. 12. kép: Vizes csiszolással készülő Lítium-diszilikát korona 13. kép: 3D nyomtatással készült ideiglenes pótlás: BEGO VarseoSmile Temp 14. kép: Az új BEGO VarseoSmile Crown – 3D nyomtatással készült végleges pótlások nyers állapotban.

A magabiztos mosolygás nem csak álom!

Vágj bele a láthatatlan fogszabályozásba

és mosolyogj bátran!

Mosolyogj felszabadultan!

Hogy mi szól a ClearCorrect mellett?

kényelmes

hatékony

víztisztán áttetsző, vagyis

teljesen láthatatlan

fémmentes

könnyű tisztítani

Láthatatlan Egyszerű használat Kényelmes
Látogasson el weblapunkra a QR kód segítségével ACC017/it/00 04/19

GYŐZTES AZ EGYEDI RESTAURÁCIÓK KÉSZÍTÉSÉBEN

A fog helyreállítását gyakran nevezik fogpótlásnak. A meghatározás azonban nem tükrözi teljesen az igazságot. Manapság a rendelkezésre álló anyagok és technikák lehetővé teszik, hogy olyan fogászati restaurációkat készítsünk, amelyek valósághű másolatai a természetes fogaknak. Ezért valóban képesek vagyunk helyreállítani a fogakat az egyéni igényeknek megfelelően. A természet felsorakoztatja a példákat; csak a megértése a feladatunk.

Az élethű restaurációt három kulcselem jellemzi: forma, funkció és esztétika. Ezen elemek tökéletes egyensúlyát kell elérni ahhoz, hogy a restauráció természetesnek tűnjön. Összetett feladat. A helyreállítás megfelelően kell, hogy funkcionáljon és kényelmesnek is kell lennie. Tökéletesen kell illeszkednie, úgy, hogy a meglévő fogszerkezet vagy egyedi felépítmény és restaurátum közötti kötés is hibátlan legyen. Továbbá a leplező kerámiának, minden fényviszony mellett, a természetes fogzománcot kell imitálnia. Figyelembe kell venni a beteg egyéniségét, beleértve számos egyéb szempontot is. A rendelkezésre álló különféle lehetőségek közül a fogtechnikusoknak ki kell választaniuk azokat, amelyek a leginkább célravezetők. A fogászati anyagok és a gyártási módszerek ismerete, beleértve személyes preferenciáikat is, diktálja a döntéshozatali folyamatot. Ez egyáltalán nem verseny a digitális és a hagyományos megközelítések között.

A választott anyag

A fogászati anyagokkal kapcsolatos széles körű ismereteim lehetővé teszik, hogy könnyedén kiválaszthassam a kívánt kerámiát: Az IPS e.max termékcsalád lítium-diszilikátja szorosan közelít a természetes fogzománc jellemzőihez, mind hajlítószilárdság és keménység szempontjából. Például az IPS e.max CAD-ből készült restaurációk

biaxiális hajlítószilárdsága több mint 10 éves intervallumban mérve 530 MPa-t; az IPS e.max Press 470 MPa értéket mutat. Különböző hosszú távú vizsgálatok megerősítik az anyag lenyűgöző tartósságát: A törés vagy sérülés nyomán bekövetkező hibák szinte teljesen kizárhatók, ha az anyaghasználat megfelelő. Ezen kívül ideális kopási tulajdonságokkal rendelkezik, és gyengéd az antagonista fogakkal szemben. A természetes fogak mintájára készült kiváló optikai tulajdonságok felelősek a megbízható esztétikai és kiváló színhatások eléréséért. Az IPS e.max Press mikrostruktúrája kb. 70% lítium-diszilikát kristály, üvegmátrixba ágyazva. A lítium-diszilikát fő kristályfázisa tűszerű, 3-6 μm hosszú kristályokból áll. A lítium-diszilikát különleges jellemzője, hogy nem túl átlátszó és nem is opák. A megfelelő alapszín választásával, a kaméleoneffekt is megjelenik magától.

Préselés vagy marás, ez itt a kérdés

Mind a prés, mind a CAD / CAM technikák különleges előnyöket kínálnak. Különböző okok miatt személy szerint a préstechnikát preferálom. Az egyik fő indokom, hogy sokéves tapasztalattal rendelkezem a hagyományos préselési módszer tekintetében, számos sikert értem el vele. Nagyra értékelem azt a tényt, hogy úgy tudom elvégezni a munká-

66 e-Journal FOGTECHNIKA
1. kép: A restauráció az Okkluzális Iránytűvel összhangban a természetes wax-up technika (NAT) eredményeként nyeri el egyedi jellemzőit. 2. kép: Az IPS e.max Press Multi fogszerű szerkezete lehetővé teszi a helyreállítás zománc és dentin szegmensének testre szabását.

mat, hogy nem kell figyelembe vennem a dimenzióveszteséget a restauráció létrehozásakor: amit csinálsz, azt kapod. A restaurátum részleteit és illeszkedési pontosságát pontosan az elején tudom meghatározni, amikor a wax-up-ot készítem. Amikor számítógépen tervezek, akkor igazán finom részletességgel tudok alkotni. A folyamathoz kapcsolódó okok miatt azonban a marógép nem tudja azokat abszolút pontossággal reprodukálni. A probléma magában foglalja az úgynevezett vágósugár kompenzációt. Végül a helyreállítást még mindig manuálisan kell befejezni. A préstechnika egyértelmű előnyt mutat, amikor éles szélű és bonyolult kialakítású restaurációk jönnek létre. A gépeket a legfinomabb szerszámok átmérője korlátozza.

Módszerem a természetes megjelenésű restaurációk előállítására

1. Viaszmintázás

A viaszmintázásom és rétegezésem a természetes wax-up technikán (NAT) és az Okkluzális Iránytűn alapul. Különböző színű viaszokat és speciális eszközöket használok erre a célra. Inkább egy olyan egyedi megoldást készítek, amelyet a beteg határoz meg és a természet vezet, nem pedig csak „kikapok” egy koronát az egyik fogkönyvtárból, és a lehető

legjobban igazítom, hogy illeszkedjen a páciens szájába. Véleményem szerint a fog egyedisége nem hozható létre előre definiált megoldásokkal.

2. Beágyazás

A viaszmintázatot elhelyezem a megfelelő IPS e.max Press Multi beágyazó gyűrűbe. Az Ivoclar Vivadent igen széles kínálattal rendelkezik az IPS e.max Press kerámiából szín- és áttetszősében, valamint monokromatikus és polikromatikus préstabletták választékában részleges és teljes koronákhoz. Az utóbbi típusú ingotok a természetes fog szerkezetét utánozzák, mivel fokozott az árnyalatuk és áttetszőségük dentintől az éli részekig. Az anyagok színtelítettsége és opacitása magasabb a nyaki és dentin területeken, míg az élek felé fokozottan transzlucens. A progresszió nagyon egyenletes. A viaszmintázat felcsapozása határozza meg, hogyan oszlanak el a dentin és zománc területek a helyreállításon belül. A technikust ez menti meg attól, hogy újra és újra kelljen karakterizálnia a restaurációt. Mielőtt a beágyazás megtörténik, a viaszmintázat pozícióját tolómérővel ellenőrzöm. Ennél a pontnál az előmelegítő kályhát már be kell kapcsolni, hogy elérje a kívánt hőmérsékletet mialatt beágyazunk és az megköt.

Amikor a beágyazó anyag (ebben az esetben IPS PressVest Premium, Ivoclar Vivadent) teljesen ellepi a mintázatot, a vibrátor asztalt ki kell kapcsolni, hogy elkerül -

67 VI. ÉVFOLYAM – 2023. 7. SZÁM
3. kép: Körültekintően téved, ha követi a gyártó utasításait a beágyazás folyamata és a reakcióréteg tekintetében. 4. kép: Minden kéznél, ami kell. Ennek eredményeként a préselés zökkenőmentesen és hibák nélkül mehet végbe. 5. kép: Az objektum közelében a nyomást 2 bar-ra kell csökkenteni. 6. kép: Az illeszkedés pontossága és a restauráció részletei kiválóak a préselés után; a funkció részletei fúrókkal kerültek beállításra.

jük további légbuborékok felszínre emelkedését, majd feltöltjük a gyűrű fennmaradó részét. Ezután óvatosan ráhelyezzük a beágyazó gyűrű tetejét. A beágyazó kötési folyamatát figyelemmel kell kísérni. Amikor az anyag kemény, be kell tenni az előmelegítő kemencébe, akkor is, ha az még nincs a megadott hőmérsékleten. Ez alatt elegendő idő van a préskályha előkészítésére (jelen esetben Programat EP5010, Ivoclar Vivadent) a szükséges anyagokkal együtt.

3. Préselés

IPS e.max Press Multi préselésekor egy IPS Multi One-WayPlunger-t (benyomó henger) kell elhelyezni a kerámia és az IPS e.max Alox Plunger közé. Fontos, hogy ezt a három tárgyat megfelelő sorrendben helyezzük el a préskályha melletti munkapadon. Ezzel elkerülhető, hogy az utolsó pillanatban kelljen megkeresni őket, és az a kockázat, hogy va-

lamiről elfeledkezzünk a sietségben.

4. Kibontás

Préselést követően a kihűlt beágyazást kibontjuk. Erre a célra több technika is a rendelkezésünkre áll. Ennek ellenére minden esetben be kell tartani a gyártó utasításait. A beágyazás külső részeit 50 μm alumínium-oxiddal 3 bar nyomáson fújjuk le. Közel az objektumhoz a nyomást vegyük vissza 2 bar-ra.

5. Befejezés

Az inhibíciós réteget illetően megoszlanak a vélemények. Néhány gyártó még azt állítja, hogy beágyazó anyaga csökkenti vagy teljesen megelőzi az inhibíciós réteg kialakulását. Ettől függetlenül a technikusok jobb, ha előrelátóan csalódnak, és szigorúan be kell tartaniuk a gyártó utasításait. El kell távolítani azt a nagyon vékony reakcióréteget, amely az IPS e.max Press Multi-n képződik. Ehhez a homokfújt objektumokat műanyag tartályba helyezzük, és IPS e.max Press Invex (Investment-Ex) folyadékot öntünk rá, hogy ellepje. A zárt tartályt ultrahangos készülékbe helyezzük 10-30 percre. Következő lépésként folyó vízzel leöblítjük a restaurátumot. Fehér filmréteg válik láthatóvá rajta ezt követően. Ez a reakcióréteg. 50 μm alumínium-oxiddal 2 bar nyomáson lefújjuk, így sima felület jön létre. Egy a célnak megfelelő szeparálóval levágjuk a beömlőcsapokat. Majd minden nyomás nélkül ráhelyezzük a koronát a csonkra. Az artikulátorban megvizsgáljuk a proximális és az okkluziós érintkezéseket, ellenőrizzük és beállítjuk a szimulált rágómozgások szabad útját. Végül a koronát befejezzük a megfelelő gyémántokkal, karbid fúrókkal és szilikon polírozókkal. A fennmaradó fogazat állapotától függően lehet, hogy csak polírozásra lesz szükség.

6. Karakterizálás

Az optimális karakterizálásnál „a kevesebb több” alapelvet kövessük. Azok a technikusok, akik bármilyen festést vagy feltűnő karaktert szeretnének létrehozni, mert a szomszédos fogakon is ezt látták, beszéljék meg a fogorvossal. A legtöbb esetben csak a zománc élek és fisszúrák kihangsúlyozása a kívánatos. Kevés festék (IPS Ivocolor, Ivoclar Vivadent) glazúrral keverve elvégzi a feladatot. A végső glazúrrétegnek nagyon vékonynak kell lennie. Mindazonáltal fontos ellenőrizni a végleges függőleges méretet és a rágómozgásokat.

Összegzés

7. a-c képek: A koronákat visszafogott megfestés jellemzi. A préstechnika minimálisra csökkenti az anyagok és berendezések igényét.

Az ezzel a hagyományos módszerrel elért illeszkedés felülmúlhatatlan: A fémmentes kerámia teljes pontossággal adja vissza a viaszmintázatot. A technika minden tekintetben megfelel az esztétika, a forma és a funkció követelményeinek. Tulajdonságai a megjelenés és a kopási viselkedés szempontjából közelítenek a természetes fogszerkezethez. Mi több, a préstechnika rendkívül gazdaságos. Alacsony anyag- és felszerelési költségekkel, minimális kezdeti ráfordítással jár. Karbantartási, frissítési és egyéb addicionális költségei szinte elhanyagolhatók. Az előnyöket teljes mértékben a fogászati laboratórium használja ki.

68 e-Journal FOGTECHNIKA

High Tech – High Speed: A felülmúlhatatlan erő

A Tizian 5.5 Loader öt tengelyes frézgép az optimalizált felépítésével és technik ai megoldásaival számtalan előnnyel szolgál.

A frézerek teljesen új generációja a Tizian 5.5 Loader roppant nagy erejével és stabilitásával hihetetlen frézelési sebességet biztosít a legnagyobb precizitás mellett.

A Tizian 5.5 Loader minden része és összetevője az alábbi célok at szolgálja:

• Gyorsaság

• Precizitás

• Kényelmes és biztonságos kezelés

• Hosszú élettar tam

• Univerzális felhasználhatóság, nem nemesfémre optimalizált

További információ:

Kiss László

Telefon: +36 30 318 0609

E-mail: k iss.laszlo@realtrade.hu

A
új generációja Ú J D O N S ÁG
Tizian frézgépek

A munkát a Zirkonzahn Prettau anyagából készítettük. geztük. A titán ragasztóbázisok ugyancsak e cég termékei.

ma már nem

Stabilitási okokból mindig Prettau cirkonból készítjük az

sos módszerrel, labiális kerámialeplezéssel

készítettük.

készítettük. A frézelést a labor saját Zirkonzahn marógépével vétermékei. Eddig egyedileg kellett befesteni a cirkont, ami nem szükséges. az ilyen implantátumos munkákat. A frontot visszavágákészítettük. Így a biztos oldalon maradtunk.

ILYEN SZÉP A FOGTECHNIKA

A Hilsenbek AG laboratóriumban tehetséges, ambiciózus fogtechnikusok dolgoznak. Ezt olvasóink már előző számainkból megállapíthatták. Most Daniela Leicht egyik munkáját mutatjuk be, aki szintén az aspergi tehetségek egyike.

A munkát a Zirkonzahn Prettau anyagából készítettük. A frézelést a labor saját Zirkonzahn marógépével végeztük. A titán ragasztóbázisok ugyancsak e cég termékei. Eddig egyedileg kellett befesteni a cirkont, ami ma már nem szükséges.

Stabilitási okokból mindig Prettau cirkonból készítjük az ilyen implantátumos munkákat.

A frontot visszavágásos módszerrel, labiális kerámialeplezéssel készítettük. Így a biztos oldalon maradtunk.

Forrás: Das Dental Labor 2021/10

72 e-Journal FOGTECHNIKA
73 VI. ÉVFOLYAM – 2023. 7. SZÁM
74 e-Journal FOGTECHNIKA
75 VI. ÉVFOLYAM – 2023. 7. SZÁM
76 e-Journal FOGTECHNIKA
77 VI. ÉVFOLYAM – 2023. 7. SZÁM
78 e-Journal FOGTECHNIKA
79 VI. ÉVFOLYAM – 2023. 7. SZÁM
80 e-Journal FOGTECHNIKA

STRAUMANN® BLX IMPLANT SYSTEM

Confidence beyond Immediacy.

System overview

TERMÉKÚJDONSÁGOK

Super-Flex gyémántkorongok: flexibilis, szilárd, finom

A nehezen hozzáférhető helyeken az átlagos gyémántkorongok nem mindig alkalmazhatók, mert vagy túl merevek, vagy vastagok. Nem így a Busch Super-Flex gyémántkorongjai – 80-as és 100-as ISO-méretben kaphatóak. Extrém flexibilisek, nagyon vékonyak, mégis ellenállók és magas az élettartamuk. A finom gyémántszemcsék a kerámia és a műanyag egészen vékonyan történő vágását teszik lehetővé. A befogó vékony nyaka és a nagyon lapos csavarfej megkönnyíti a nehezen hozzáférhető helyeken folytatott munkát.

www.busch.eu

A Voco Grandio disc kompatibilis az Amann Girrbach marógépekkel

A kompozitok stabil helyet nyertek a CAD/CAM technológiában is. Az anyag mellett a marógép is döntő fontosságú. A Voco és az Amann Girrbach között újonnan létrejött kooperáció nyomán lehetségessé vált a Grandio disc anyag saját validálású frézstratégiával történő megmunkálása a Ceramill Matik és Ceramill Motion marógépekben. Az anyag és a marógépek igényes, többfázisú eljárás nyomán egymáshoz szabályozottak. Különösen praktikus, hogy a Grandio disc bevezetésre került mind a ceramill Mind CAD-szoftverbe, mind az Amann Girrbach marógépeinek frézstratégiájába. A 86 súlyszázalékos töltőanyag-tartalomnak köszönhetően a Grandio disc átlag feletti anyagszilárdságú. Hajlítószilárdsága is olyan értékű, amelyet különben csak a szilikátkerámiák érnek el, miközben a Grandio disc sokkal antagonista-barátabb viselkedésű. Az anyag nagyon finoman marható, könnyen polírozható, így a pótlás nem csak optimálisan illeszkedik, hanem a legmagasabb esztétikai igényeknek is megfelel. A természetes optikai hatást erősíti az átfogó színválaszték, és a két transzlucencia-fokozat. Az Amann Girrbach minden marógépe unuverzális kompozit-stratégiával dolgozik. Így a Voco további fréz-anyagait is felhasználhatják bennük a CAD/CAM specialisták: a Grandio blocs-ot (nano-keramikus hibrid CAD/CAM tömb), a Structur CAD-ot (CAD/ CAM kompozit ideiglenes ellátáshoz), és a CediTEC DT-t is (CAD/CAM kompozit fogsorfogakhoz).

Csiszolni – simítani – polírozni az Argen Zirkon tool-set-tel

14 forgácsolóeszközzel tökéletes cirkonfelszínt elérni – ezt a célt tarthatják szem előtt a fogtechnikusok az új eszközkészlettel. A cirkonvázak különlegesen kímélő és egyidejűleg hatékony megmunkálása céljából állította össze az Argen Dental cég nagyértékű gyémántokból, polírozókból és gumikorongokból a készletet, 2,35 mm-es befogóval. A forgóeszközök a cirkonfelület optimális anyageltávolítását biztosítják gazdaságos idő alatt. Az Argen Dental cirkonspecialistái az alábbi lépések követését tanácsolják a fogtechnikusoknak a cirkon átfogó megmunkálása során:

• az előszinterezett cirkonanyag fölöslegének csiszolása és eltávolítása a speciálisan erre a célra fejlesztett gyémántokkal az optimális 8000-től maximum 20000-ig terjedő fordulatszám-tartományban

• az utószinterezett cirkóniumdioxid felszínének simítása speciális, enyhe felületmegmunkálású gyémántokkal az optimális 15000-től maximum 20000-ig terjedő fordulatszám-tartományban. A szélek vékony részeit nagyon jól, lepattogzódás nélkül ki lehet dolgozni

• a készre szinterezett cirkon polírozása az extra-, illetve középdurva gyémánttartalmú gumi speciál-korongokkal, az optimális 6000-től maximum 20000-ig terjedő fordulatszámon. www.argen.de

82 e-Journal FOGTECHNIKA
www.voco.dental

Ha fúr-farag, akkor

LEZERSZINTER.HU

A LEGTÖBBET ELADOTT * ALL-CERAMIC

• 3D lézerszínterezett vázak

• Gyorsan tökéletes minőségben

• Remanium star anyagból

abutmentről szakemberek döntésében és válassza az

Tel.: 06-20-366-10-80

Izabella

• Anger matricák, ideiglenes koronák, fényvezető ék;

• ASA műszerek, egyszer használatos eszközök;

• CMS polimerizációs lámpa

• FKG orthodonciai eszközök;

• DTS színes műanyag lenyomatkanalak

• L&M kiskészülékek

• ORO CLEAN fertőtlenítőszerek;

• MEDEX önelőhívós röntgenfilm

• PROMEDICA cementek, tömőanyagok, alábélelők, kerámiajavító;

• SHOFU cementek, tömőanyagok, csiszolók

• SURE DENT papírcsúcs és guttapercha

• SS White koronafelvágó, karbid- és gyémántfúrók;

• TIDI védőmaszkok

• WHITEWASH fogkrém, fogkefe, fogfehérítő

• ZHERMACK A- és C-szilikon, alginát lenyomatanyagok. Közvetlenül az importőrtől:

HERBODENT Kft.

✉ 1025 Bp., Szépvölgyi út 52. % 325-7129

%/fax 325-7220, mobil: 30/203-6957, 30/241-5737

e-mail: herbodent@herbodent.hu, www.herbodent.hu

www.lezerszinter.hu

Fogászati kidolgozó eszközök és anyagok a legnagyobb választékban, a legkedvezőbb áron. Raktárról azonnal szállítunk. Viszonteladóknak nagy kedvezmények. Straumann GmbH Magyarországi Fióktelepe

COMMITED TO SIMPLY DOING MORE FOR DENTAL PROFESSIONALS

Pi dental Manufacturing Co. Ltd. www.pidental.hu Pi dental Fogászati Gyártó Kft. H-1141 Budapest, Szugló utca 83–85. E-mail: sales.pidental@pidental.hu Telefon: +36 30 964 3721  1135 Budapest, Frangepán u. 66/B. Tel.: +36 1 236 4000 e-mail: info@newyorkdental.hu web: www.newyorkdental.hu facebook: New York Dental Hungary N E W YORK DEN T A L www.alphaimplant.hu A MINO˝SÉG A SIKER GARANCIÁJA ai_hird_47x69.indd 4 5/7/15 9:24 AM CEREC
a tökéletes megoldás GlobDent Kft. 1134 Budapest, Visegrádi u. 82/b. Mobil: 06-30 932-16-76 e-mail: globdent@vnet.hu www. globdent.hu
család
® www.ivoclarvivadent.com Ivoclar Vivadent AG Bendererstr. 2 www.ivoclarvivadent.com Ivoclar Vivadent AG Bendererstr. 2 9494 Schaan | Liechtenstein | Tel.: +423 235 35 35 | Fax: +423 235 33 60 www.ivoclarvivadent.com Ivoclar Vivadent AG Bendererstr. 2 | 9494 Schaan | Liechtenstein | Tel.: +423 235
IPS e. m ax
www.ivoclarvivadent.com Ivoclar Vivadent AG Bendererstr. 2 | 9494 Schaan | Liechtenstein | Tel.: +423 235 35 35 IPS e. m ax all ceramic all you need “ Egyre több és több fogorvos és fogtechnikus amely egy klinikailag tesztelt all-ceramic megbízható erősséget biztosít. Ezt igazolja náról,
Egyre több amely egy megbízható náról, inly/onlay-ről, MŰKÖDIK
inly/onlay-ről, leplezésről,
MERT
www.ivoclarvivadent.com Ivoclar Vivadent AG Bendererstr. 2 | 9494 Schaan | Liechtenstein | Tel.: +423 235 35 35 | Fax: +423 235 33 60
MŰKÖDIK
1077 Budapest, BREDENT DFS EDENTA KKD TOPDENT
u. 10. Tel.: 06-1-223-3999, info: 06-30/944-1441 www.dentaldiszkont.hu
1016 Budapest, Hegyalja út 7–13.

Könyvajánlataink

A Legfelsőbb Bíróság Polgári Kollégiuma az orvosi műhiba perek gyakorlatának á�ekintésérő szóló összefoglaló jelentésében rögzíte�e, hogy az élet, tes� épség és egészség sérelme mia� indíto� orvosi kártérítési perekben a bekövetkeze� hátrányokat, káros eredmény mia� érvényesíte� nem vagyoni kárigényeket a károsult vagy a saját egészségromlása, vagy saját jogán a hozzátartozójának halála, egészségkárosodása mia� érvényesí� azzal, hogy ezek a károsult esetében együ� is jelentkezhetnek. Ténybeli alapja lehet a szélesen ve� gyógyítás (orvoslás) során bekövetkeze� valamely hiba: általában a diagnosz�kus tévedés következményei, kezelési, műté� hiba akár tevőleges, akár mulasztásos magatartással, a tájékoztatás elmaradása vagy elégtelensége.

Magyarországon a műhibaperek során megítélt összegek folyamatosan emelkednek. A nyilvánosságra hozo� legmagasabb kártérítés eddig 55 millió forint volt, de folyamatban van olyan per is, amelynek tétje meghaladja a 80 millió forintot. A kérdésben érinte� jogászok véleménye szerint az oly sokat emlegete� 1997-es Egészségügyi Törvény hatályba lépése óta az orvosi felelősséggel kapcsolatos perek kétharmadát a betegek nyerik. Megjegyzendő hogy 2008-hoz képest 10%-kal nő� a műhibaperek száma, amely most 151, a folyamatban lévő ügyek vonatkozásában pedig 467 eljárásról beszélhetünk. (Forrás: EBF) Ezen ügyek megközelítőleg 17%-a tekintetében beszélhetünk ún. fogorvosperekről. Napjainkban az egészségügyi szolgáltatóknak – beleértve az intézményeket és a magánpraxist folytató orvosokat – egyre inkább számolniuk kell azzal a lehetőséggel, hogy a beteg vagy hozzátartozója, ha nem elégede� az ellátással, bíróság elő� keresi az igazát. Büntetőeljárás orvossal szemben ugyan lényegesen ritkábban indul, azonban ez talán még nagyobb lelki megterhelést jelent az érinte� orvos számára. A jogi helyzet �sztázására, a releváns szabályozás és a fogorvosi tevékenységet érintő űhibaperek bemutatására és értelmezésére hivato� a Fogorvosperek című kötet, amelyet közérthető megközelítése mia� elsősorban fogorvosok, szájsebészek, de jogászok, illetve a jog iránt érdeklődők is haszonnal forgathatják.

FOGORVOSPEREK

Hajdu Zoltán
Csak természetesen Fogászat és esztétika
Dr Forrai Judit
Fejezetek a fogorvoslás és eszközeinek történetébôl
FOGORVOSPEREK Ifj. dr. Lomnici Zoltán 4000 Ft 7000 Ft 3500 Ft 3500 Ft 3500 Ft 7000 Ft 3500 Ft A FOGÁSZATI IMPLANTOLÓGIA története Magyarországon Dr. Divinyi Tamás Fogaszati implantologia tortenete terv.indd 1 3500 Ft 2000 Ft 3500 Ft 5000 Ft 2500 Ft 2500 Ft DP Hungary Kft. 1012 Budapest, Kuny Domokos u. 9. Tel.: +36 30/472 0030, 06-1-793-1874 www.dental.hu Megrendelés: www.dental.hu/webshop Róth Lajos Fogpótlás.tan update 8750 Ft
A szerző

Csak természetesen

Fogászat és esztétika

A fogpótlások elkészítése mindig összetett feladatnak számított. Szakmai szempontok az elsődlegesek: stabilitás, funkció, illeszkedés, biológiai és kémiai megfelelőség. A fogorvos és a fogtechnikus is törekszik munkája során, hogy legjobb tudását, széleskörű ismereteit a lehető leghasználhatóbb, a páciens számára sikert garantáló formában építse be az elkészülő fogműbe. Tervezés, kivitelezés csakis akkor lehet sikeres, ha mindketten jól képzettek és felkészültek a szakmai munkában.

És mit észlel első sorban a páciens, a beteg? Az esztétikai megjelenést. Sőt, ma már gyakran azért megy a páciens a fogorvoshoz, hogy változtassa meg mosolyát. Nem azért, mert fáj a foga, vagy laikus szemmel is látható defektusai lennének. Mindannyian érezhetjük – fogorvos, asszisztens, fogtechnikus és páciens –, hogy nehezen megfogható, szakmai nyelvezettel nem minden esetben definiálható területről van szó. Az „esztétikus” mást jelent mindanynyiunk számára, még akkor is, ha látszólag egyről beszélünk. A páciens esetleg hófehér, szabályos fogakat ért alatta. A kezelőorvos hibátlan, korhoz illő megjelenést. A fogtechnikus természetes, a páciens típusára, korábbi megjelenésére jellemző fogakat készítene. Igazán jó, természetes, esztétikus restaurációt készíteni nem csak szakma – művészet is.

E könyv megismertet minket olyan emberekkel, akik technikai felszerelést, technológiát és kézügyességet ötvözve kifejezésre tudják juttatni művészi érzéküket. Mindannyiunk, a páciens, a kezelő-csapat és a fogtechnikus számára is érzékelhetően. Végül is ez a cél. Forgassák bizalommal, és ügyeljenek a részletekre.

Hasznos időtöltést kíván a szerkesztő: Hajdu Zoltán

Technikai információk:

méret: A4

• terjedelem: 291 oldal • kötés: keménytáblás • nyomás: színes, ofszet

Vizsga - sokaknak idegeskedést, félelmet, önbizalomhiányt okoz a szó. Nem egyszerű megfelelni mások elvárásainak, különösen, ha megítélésüktől sok függ későbbi életünkben.

Tovább bonyolódik a helyzet, ha gyakorlati vizsgáról van szó. Itt már a kézügyesség is számít, nem csak a megjelenés, a tudás – be kell bizonyítanunk, képesek vagyunk adott folyamatok elvégzésére. Mindezt idegen helyen, új, számunkra barátságtalan eszközökkel, többedmagunkkal, meghatározott időre... Könnyen belátható, miért remeg egy-egy vizsgázó keze.

A fogtechnika, mint hivatás, különlegesen összetett. Sokoldalú, több más szakmát felölelő ismeret együttesére van szükség – elméletben és gyakorlatban egyaránt.

A szerzők képzettségük és tapasztalataik alapján ismerik mind a szakmai, mind az emberi oldal nehézségeit, buktatóit. Könyvük célja a -segítségnyújtás. A cím - ,,Átrágtuk” - jól jellemzi hozzáállásukat: lelkiismeretesen, értelmezve, bemutatva.

Rendszerezett, intenzív előkészületeket biztosítanak. Bemutatják az adott munkafolyamatokat, lépésről lépésre. Szöveggel és képpel is bizonyítják számtalan vizsga rengeteg diákjának ismeretét, megfigyelését.

Megmutatják, előre jelzik, hol várható probléma - s segítenek azt már előre elkerülni. Felsorolják, és a gyakorlatban is demonstrálják, hogyan, mit kell csinálni, mire kell felkészülni -· sőt, a végeredmény objektív bemutatása bizonyosságot ad a felhasználóknak gyakorlás közben.

Kitérnek nem csak a feladatokra - még a szerszámok, anyagok, eszközök összeállításában is segédkezet nyújtanak.

A könyv kihagyhatatlan segédeszköz minden leendő és gyakorló fogtechnikus számára - bepillantást nyújt a német szakmai vizsga anyagába, minőségébe is. A briliáns képek és utalások még az esetleg hozzá nem értők számára is egyértelműek. Forgassuk minél többen, minél többet!

Hasznos olvasást és jó szórakozást kíván a szerkesztő: Hajdu Zoltán

Technikai információk:

méret: B5 • terjedelem: 160 oldal • kötés: keménytáblás • nyomás: színes, ofszet

Hajdu Zoltán

Turn static files into dynamic content formats.

Create a flipbook
Issuu converts static files into: digital portfolios, online yearbooks, online catalogs, digital photo albums and more. Sign up and create your flipbook.